HAVEN October 2023

Page 1

October TRSRP TDS .S.U egatsoP idaP Stuart timreP #300 latsoP ermotsuC SSWREC
2023 POLK ARTS & CULTURE
OCTOBE R 1 7 BO N NET SP R ING S P ARK 6 :00 PM VISIT POLKARTS.ORG TO PURCHASE TICKETS
GALA HALL OF FAME
PRESENTED BY

STATE OF THE CITY

November 9, 2023

Stay informed, be engaged and get excited about our bright future!

Slow Roll & Ski Show

havenmagazines.com 8 Meet at The Bike Shop, 249 Third St. SW, Winter Haven (863) 299-9907 FB@slowrollskishow
Tune up that bike and ride with us! We meet at The Bike Shop, slow roll through town as a group, and watch the world-famous Cypress Gardens Ski Show on Lake Silver. After that, we ride back and meet at Grove Roots to hang out.
US Saturday October 21 @4:30 PM Scan to sign up today!
GRAB YOUR BIKE AND ROLL WITH

I am very excited about this issue.

We have a guest writer this month, Jeremy Gardner. He is a local writer, filmmaker and a bartender. I met Jeremy and wrote about him after he had just finished his movie in 2019. Since then, I’ve been asking Jeremy to write something for the magazine. He never said yes, but he never said no. So, I continued to ask him. He agreed earlier this year, I gave him no guidelines, only a deadline. When he turned in a 4800-word essay, I was giddy. When I sat down to read it, I was hooked on the first page. He takes us along his thought process with complete honesty about being a writer, making films, and working as a bartender. It’s his way of storytelling that I found so intriguing and his honesty that I found so humbling. I am absolutely proud of him and I’m excited for everyone to read what he has written.

Please join us on October 26th at 7 pm for a special screening of his movie, After Midnight (2019) at the Historic Ritz Theatre in downtown Winter Haven. Stay afterwards for a Q & A with Jeremy and his co-director Christian Stella. After Midnight was written by, co-directed, and stars Jeremy. It was filmed at several locations around town, and also in Leesburg, FL. This screening is a fundraiser for the Ritz, with very limited seating. Please reserve in advance at centralfloridatix.com, the movie is rated M. I’ll see you there.

Winter Haven Farmers Market

CentralFloridaTiX.com

Email me: amy@destroyermedia.com

9 Letter From the Editor
ON THE COVER: Jeremy Gardner as “Hank” in After Midnight Photo by Christian Stella.
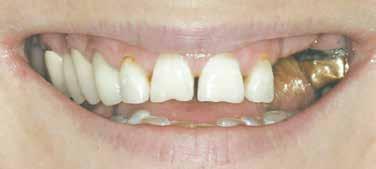
(863) 676-6021 701 State Rd. 60 East • Lake Wales YOUR SMILE IS OUR WORK OF ART start-to-finish DENTAL IMPLANTS all in one place FORNIDENTAL.COM/TEETH-XPRESS Se habla español after TeethXpress before TeethXpress

Publisher // Chris Sexson chris@destroyermedia.com

Ad Director // Christine Campbell christine@destroyermedia.com

Editor & Photographer // Amy Sexson amy@destroyermedia.com

Managing Editor & Writer // Tara Crutchfield tara@destroyermedia.com

Art & Production Manager // Steven Maynard steven@destroyermedia.com

Account Representative // Jessica Parker jessica@destroyermedia.com

Graphic Designer // Ella Doyle ella@destroyermedia.com

Media Specialist // Nate Schaller nate@destroyermedia.com

Organizer of Destruction // Nicole Nikdel nicole@destroyermedia.com

Event Coordinator // Lyndsey Venrick lyndsey@destroyermedia.com

Contributing Writers Shannon Carnevale Jeremy Gardner

For advertising information please contact: christine@destroyermedia.com

11 OCTOBER 2023 // VOLUME 8 // ISSUE 01 MAGAZINES CONTENTS LETTER FROM THE EDITOR 9 LOCAL NEWS 13 TOP 10 15 THE ART OF STORYTELLING 22 CRAVIN’ HAVEN 36 COCKTAIL 41 CHECK ME OUT ;) 43 CONCERT ON THE LOT 44 BATS ARE YOUR FRIENDS 46 CALENDAR 49 SOLD HOMES 63 HOROSCOPES 71 #KINDACHILL 73
CHARLIE AWARDS 2023 Best Writing: Humor Best Photo Illustration Best Digital: Social Media Best Digital: Podcast Best Advertisement: For a Client 2022 Best Digital: Podcast Best Photography: Feature Image 2021 Best Writing: Humor Best Digital: Social Media Best Special Theme Issue Best Writing 2020 Best Writing: Humor Best Digital: Social Media 2019 Best Writing: Feature Best Advertisement: For a Client Best Photography: Cover 2018 Best Design: Cover Best Redesign 2017 Best Digital: Social Media Mailing Address: PO Box 1607, Winter Haven, Florida 33882 863-202-9172 HAVEN is published twelve times a year by Destroyer Media & Marketing. Haven distributes 15,000 copies a month with 8,400 mailed to homes and 6,500 copies available at select locations throughout east Polk County.
FMA
havenmagazines.com 12 Stay Awhile STOP BY & Your new home at Lake Howard Heights is waiting for you, and our family can’t wait to meet you. For a limited time, we’ll cover your moving costs! Imagine how grand life will be: Come and meet our Team while enjoying a complimentary lunch. (863) 293-3171 Let us know if you would like transportation, and we will coordinate a driver for you. • Sweeping views of Lake Howard • Hassle-free apartments • Social clubs and wellness programs • Independent and assisted living services LakeHowardHeights.com (863) 293-3171 650 N. Lake Howard Dr, Winter Haven ALF# 5494

PCPS IS HIRING

Polk County Public Schools is hosting a Fall Interview Day on Oct. 5, 3 – 5 pm at the Jim Miles Professional Development Center in Lakeland. During this face-to-face event, you will have the opportunity to connect, interview, and potentially accept a job offer. Please come with your resume in hand and in your best dress. Administrators from all over Polk will be in attendance to hire you for the 23-24 school year. If you have questions, please email jobs@polk-fl.net or call 863-534-0781 option 5.

NAT’L MERIT SCHOLARSHIPS

Nine students from Polk County Public Schools are among this year’s semifinalists for National Merit Scholarships. Congratulations to: Nicholas Kieffer, Johnathan Marocco, Abraham Medina, Mohan Nakka, Isabel Philip, Melissa Thomas and Kim-Linh Vo from International Baccalaureate Bartow; Abrar Amin from International Baccalaureate Haines City; and Eric Brown from Winter Haven High. The PCPS students are among more than 16,000 “academically talented” U.S. high school seniors competing for National Merit Scholarships this year.

RESPIRATORY CARE

Program Director Shana Kent-Smith calls Polk State College’s Respiratory Care Program one of the College’s best-kept secrets. Last month, the program was presented with the Distinguished Registered Respiratory Therapist Credentialing Success Award for the ninth consecutive year. Of the 473 Respiratory Care schools in the U.S., fewer than 80 earned that distinction. Polk State’s Program is a two-year program that awards an associate in science degree. Over the latest reporting period from 2019 to 2021, Polk State graduates boasted a perfect 100% rate for job placement, credentialing success, employer satisfaction, and graduate satisfaction. 2023 graduates have perfect 100% job placement and credentialing rate.

HALL OF FAME GALA

Congratulations to the 2023 inductees to the Polk Arts & Culture Hall of Fame. Clifton Lewis was instrumental in saving the historic L.B. Brown House in Bartow from demolition. Milford Myhre was the carillonneur of Bok Tower Gardens for 36 years, until his retirement in 2004. Rick Olivo, who passed away in 2022, has long been recognized as one of Lakeland’s art icons. Harriet Rust, a Polk County native, founded the Davenport Historical Society with thenMayor Peter Rust (her late husband). Bobby Braddock, who left Auburndale for Nashville as a young adult, gained notoriety for writing country music classics. Jazz icon, Nat Adderley is credited with being a founding member of Florida Southern College’s Child of the Sun Jazz Festival. Purchase tickets to the gala at polkarts.org.

LAKE REGION HIGH

Lake Region High’s football stadium received a new name on September 15th. The stadium was named in honor of Stephen White, LRHS’ first principal, who was in attendance. The name was officially announced after the first quarter of Friday night’s game against Lake Wales High. The current LRHS Principal Amy Hardee said, “Before the first graduating class of 1996 set foot on the new LRHS campus, Mr. White made sure every detail was in place. Yet when the school opened, they did not have a football stadium of their own. Mr. White advocated for a stadium.” She continued, “The naming is overdue, because Mr. White will always bleed Carolina blue, silver and black.”

CONGRATULATIONS!

Endeavor Winter Haven, Engage Bartow & Emerge Lakeland gathered to present the 12th Annual Polk Emerging Leaders Awards. Over 200 people from all over Polk County gathered at the Bartow Civic Center to celebrate these young professionals. This year, 19 young professionals were nominated for this prestigious award coming from every corner of the county, representing a wide variety of professions and volunteer service to numerous nonprofit or civic organizations. The 2023 Polk Emerging Leaders Awards winners are Dr. Aimee Franklin, Jon Lane, Alexander Cam, Tayler Baldick and John Helms.

REGISTER TO VOTE

October 10th is the deadline to register to vote in Polk County’s November 7th Municipal Elections in Auburndale, Fort Meade, Lakeland and Winter Haven. Voter registration services will be available at the following locations:

Second 2 None Barbershop at 1320 N Florida Ave. LK from 11 am – 1 pm; Lakeland Regional Health at 1324 LK Hills Blvd. LK from 11 am – 1 pm; Geico Corporate Office at 3535 W. Pipkin Rd. LK from 11:30 am – 2 pm; Auburndale Public Library at 100 W Bridgers Ave. AD from 2 pm – 4 pm; Winter Haven Public Library at 325 Ave A NW, WH from 2 pm – 4 pm; and Polk County Government Ctr at 930 E Parker St., LK from 2 pm – 4 pm. For more information, contact the Elections Office at (863) 534-5888, or visit PolkElections.gov.

DOWNTOWN WINTER HAVEN

The City of Winter Haven will be constructing sidewalk café space in the existing parallel parking spaces along Central Avenue West. Central Avenue West will be closed between 2nd Street and 4th Street. 3rd Street will remain open as well as the sidewalks and access to the businesses. The work is scheduled to go through midNovember 2023. During this time, the road will be closed to traffic. The sidewalks and access to the businesses will remain open. All traffic should follow all detour signs for safety purposes. If you have any questions, please contact Angie Hibbard - Project Manager for City of Winter Haven at (863) 291-5656.

13 LOCAL NEWS
havenmagazines.com 14 LIVE SHOWS & MORE RITZ THEATRE PRESENTS | RITZ THEATRE PRESENTS | RITZ THEATRE PRESENTS AFTER MIDNIGHT LAKELAND SYMPHONY ORCHESTRA THE U.S. BEE GEES SMOKIN THE BOSTON/RENEGADE FOR TICKETS AND MORE INFORMATION VISIT RITZ THEATRE 263 W Central Ave, Winter Haven 863.937.1414 ritzwinterhaven.com 10/05 HOUSE OF WAX 3D 70TH ANNIVERSARY SCREENING - FILM 10/06 BRAM STOKERS DRACULA - FILM 10/07 “WHAT MUSIC THEY MAKE” - STRING QUARTET 10/12 THE MONSTER SQUAD - FILM 10/14 SMOKIN THE BOSTON/RENEGADE STYX TRIBUTE - LIVE PERFORMANCE 10/19 EVIL DEAD 2 FEATURING BESPOKE CRAFT COCKTAILS - FILM 10/26 AFTER MIDNIGHT SCREENING WITH POST SHOW Q&A - FILM 10/27 THE U.S BEE GEES TRIBUTE - LIVE PERFORMANCE

MATILDA THE MUSICAL

Oct. 5 – 29 at Theatre Winter Haven. The story of an extraordinary girl who dares to take a stand and change her own destiny. Packed with high-energy dance numbers and catchy songs. Days and times vary. theatrewinterhaven.com

POLK TOP 10

OKTOBERFEST

Oct. 6, 6 pm in Central Park in downtown Winter Haven. Main Street Winter Haven’s 16th Annual Oktoberfest will have over 40 Florida craft, local and German beers. Buy a tasting ticket and sample as many of the beers as you’d like. The Brass Heart Band will perform live, German food available for purchase. centralfloridatix.com

BRICK-OR-TREAT

Every Saturday & Sunday at LEGOLAND. The party kicks off as Monsters take over LEGOLAND® and host the party of the year featuring: Live Entertainment & Shows; Limited-Time Attractions; Character Meet & Greets; ALLNEW Fireworks Show; And Trickor-Treating! Purchase tickets online. legoland.com/florida

SUPERSTITION: EXHIBITION, ART PARTY, DARK MARKET

Oct. 13, 7 – 11:11 pm at ART/ifact Studios in Lakeland. Join seven lucky artists on one unlucky night for an in-depth exploration of superstition. Shop the Dark/Oddities Market, drinks available for purchase. $13 admission (includes 2 drink tickets). All ages welcome. centralfloridatix.com

POLK STATE FALL FEST

Oct. 14, 9 am – 3 pm at the Polk State College Winter Haven campus. This annual family-friendly event will showcase student art, activities for the entire family, a car show, food, music, crafts, and so much more! Get all the autumn vibes at Fall Fest. polk.edu/fallfest

PACA HALL OF FAME GALA

Oct. 17, 6 – 9 pm at Bonnet Springs Park. The Polk Arts & Cultural Alliance will honor six individuals who have all made their mark on Polk County and beyond. They will also recognize local arts individuals and organizations via a series of annual awards. Tickets are available at polkarts.org.

SLOW ROLL & SKI SHOW

Oct. 21, 4:30 pm at The Bike Shop of Winter Haven. Slow Roll is a FREE community gathering. “Slow roll” through downtown Winter Haven and stop mid-roll to take in the Cypress Gardens Ski Team show. Ride back and meet at Grove Roots to hang out. Sign up on FB @slowrollskishow.

AFTER MIDNIGHT

Oct. 26, 7 pm at the Ritz Theatre. One night only showing of the movie in our cover story written, directed and starring local Jeremy Gardner with a Q & A after the show. Specialty cocktails & snacks available for purchase. This is a fundraiser for the Ritz, very limited seating. Purchase tickets in advance. centralfloridatix.com

PIONEER DAYS FESTIVAL

Oct. 28 & 29 from 9 am – 5 pm at Lake Wailes Park in Lake Wales. The free community festival features a heritage village with historical demonstrations of pioneer camps and early American trades. Buy hand-crafted goods from these vendors along with more than 60 craft market vendors. lakewaleshistory.org

HALLOWEEN SPOOKTACULAR SKI SHOW

Oct. 28, 7 pm on Lake Silver at MLK Jr. Park. Watch the worldfamous Cypress Gardens Water Ski Team perform a free Halloween Spooktacular show. Bring a chair or blanket to sit on, concessions available for purchase. FB @CypressGardensWaterSkiTeam.

15

ORLANDO TOP 10

WALKING GHOST TOUR

Try the Ultimate 4-Hour Tour, 2-hour Downtown Tour or the Spirits Pub Tour. Walk and hear the ghostly legends told to you by your guide or use ghost finding equipment inside locations to find the spirits yourself. Book in advance. americanghostadventures.com

BECK

Oct. 4,7:30 pm at the Dr. Phillips Center. Experience a very special evening of unique arrangements of familiar favorites and seldomheard deep cuts from the eight-time Grammy winner, Beck. He will make his debut performance with the Royal Philharmonic Orchestra for one night only. drphillipscenter.org

A LEGACY EVENING WITH DIANA ROSS

Oct. 6, 8 pm at the Dr. Phillips Center. Ms. Ross’ unprecedented career has made her the most successful recording artist and entertainer of all time. A Legacy Evening with Diana Ross and the Royal Philharmonic Orchestra is a night you will always remember. drphillipscenter.org

AUTUMN ART FESTIVAL

Oct. 7 & 8, 9 am – 5 pm at Central Park in Winter Park. This is the only juried fine art festival exclusively featuring Florida artists. The community-oriented sidewalk show presents quality visual art and live entertainment for the entire family. winterpark.org/autumn-art-festival

HOUSE ON HAUNTED HILL (1959)

Oct. 12, 8 pm at Central Park in Winter Park. Free to attend, bring a blanket or chairs. Starring Vincent Price and Carol Ohmart, a millionaire offers $10,000 to five people who agree to be locked in a large, spooky, rented house overnight with him and his wife. enzian.org

KIDS NIGHT OUT!

Oct. 14, 6:30 – 10 pm at the Central Florida Zoo & Botanical Gardens. It’s kids only (ages 5-12) at the Zoo on this special night. Everyone will get to meet animals up close, take a flashlight tour of the Zoo, play games, make a craft, and enjoy a snack. Registration required. centralfloridazoo.org

DIA DE LOS MUERTOS & MONSTER PARTY

Oct. 19, 6 – 11 pm at CityArts (39 S Magnolia Avenue). Halloweeninspired art created by regional, national, and international artists. This unique art exhibition will be paired with food, drinks, entertainment, and spooky art vendors. ddlm2023.eventbrite.com

GHOULISH GROOVES

Oct. 20 & 21 at the Dr. Phillips Center. This big band concert features the Central Florida Community Arts Big Band playing a spook-tacular concert filled with notso-scary thrills and chills fit for the whole family. drphillipscenter.org

THE BEACH BOYS

Oct. 22, 7:30 pm at the Dr. Phillips Center. The Beach Boys mark more than a half century of making music and have become synonymous with the California lifestyle. A download of Mike Love’s new album is included with every ticket purchase. drphillipscenter.org

ORLANDO MAGIC

Oct. 25, 7 pm at the Amway Center. Celebrate opening night with the Magic as they take on the Houston Rockets. All fans in attendance will receive a free shirt, while supplies last. Purchase tickets in advance. nba.com/magic

17

TAMPA TOP 10

OUTLAW MUSIC FEST

Oct. 7, 4:30 pm at the MIDFLORIDA Credit Union Amphitheatre. See Willie Nelson, The Avett Brothers, Gov’t Mule, Elizabeth Cook, and Particle Kid perform live. This event is rain or shine. Purchase tickets in advance. midflorida.com/about-us/ amphitheatre

CHEF DINNER SERIES

Oct. 8, 8 pm at Rooster & The Till with guest, Chef Zach Meloy. Meloy has degrees in both Spanish and ceramics from Samford University and a culinary degree from Johnson & Wales. Seats are very limited for this six-course tasting menu with wine pairing. Reserve in advance. roosterandthetill.com

LIGHTNING HOME OPENER

Oct. 10, 5:30 pm at Amalie Arena. Bring the Thunder as you watch the Tampa Bay Lightning take on the Nashville Predators in the season’s home opener. Make your night memorable with a personalized message flashed on the scoreboard for an additional charge. nhl.com/ lightning

OKTOBERFEST

Oct. 13 – 15 at Curtis Hixon Park in Tampa. Celebrate German beer, cheer, games, dancing and singing along the Hillsborough River. Join in on Friday night when they tap the inaugural keg at Tampa’s largest Oktoberfest. VIP experience available. oktoberfesttampa.com

FALL FEST

Oct. 14 & 15, 21 & 22 at Armature Works. Fall Fest spans two weekends, featuring live music performances, a food drive benefiting Metropolitan Ministries, a pumpkin patch, festive treats, and activities for the whole family. armatureworks.com/event/ fall-fest

PENGUIN WADDLE

Oct. 14, 4:30 pm. Registered guests will meet at the iconic Tampa sign at Sparkman Wharf and waddle (walk 0.2 miles) along Channelside Drive over to The Florida Aquarium to meet some of their resident African penguins at a family-friendly block party. flaquarium.org

CLEARWATER JAZZ HOLIDAY

Oct. 19 – 22 at The Sound. This signature event’s performances include The Beach Boys, Gladys Knight, Buddy Guy, and the Kenny Wayne Shepherd Band plus many more. Purchase tickets for one day or all four. Find the full schedule online. rutheckerdhall.com

F.R.I.E.N.D.S. BUDDY WALK

Oct. 21, 10 am at Al Lopez Park. Help raise funds for F.R.I.E.N.D.S. Down Syndrome West Florida. Whether you have Down Syndrome or other Special Needs, know someone who does, or just want to show your support, register at ds-stride.org/ friendsbuddywalk

BROADWAY BALL

Oct. 21, 6 pm at the Straz Center. This highly anticipated annual fundraiser revels in all that The Straz has to offer. Begin the evening with cocktails and a silent auction, followed by fine dining on the Morsani Hall stage. End the evening with an exciting live auction and entertainment. strazcenter.org

BEETLEJUICE

Oct. 24 – 29 at the Straz Center. Based on Tim Burton’s dearly beloved film, this musical tells the story of Lydia Deetz, an unusual teenager whose life changes when she meets a recently deceased couple and a demon with a thing for stripes. strazcenter.org

19
Jodi DeVries, MS, APRN, CRNA, Certified Cosmetic Injector, CEO. Medical Supervisor: Dr. Robert Guirguis, DO visit HerScan.com to register for the breast cancer screening ultrasound THURSDAY, OCTOBER 12TH 2023 11:00 AM3:00 PM Reserve your FREE Facial ETERNAL YOUTH AESTHETICS 400 AVE K SE, SUITE 1 WINTER HAVEN Skin Care & Make Up Consultations • Massages Champagne • IV Therapy • Wellness Shots • Goodie Bags Her Scan Breast Cancer Screening CALL (239) ETERNAL OR TEXT (863) 486-0276 You’re Invited Cancer Care SPA DAY

the art of STORYTELLING

I: CHEKHOV’S CAVE PAINTING

In early 2019, a team of scientists announced they had made an incredible discovery.

After shimmying up a fig tree on the Indonesian island of Sulawesi, in search of an entrance to a remote cave system, a member of their research group had stumbled upon a previously unknown prehistoric pictograph.

By analyzing the calcite “popcorn” that had built up over millennia on the surface of the paint (a method of chronometric dating based on the slow decay of uranium into thorium, as well as some other scientific shit I don’t fully understand involving isotope levels), they were able to determine that the pictograph was nearly 44,000 years old.

To put that into perspective, whoever this ancient artist was, who scrambled up that rock face with a coconut husk or horn or skull-bowl full of primitive paint and tagged that wall like some Fred Flintstone Banksy, did so forty thousand years before the Great Pyramid at Giza was built.

Though not the earliest pictograph ever uncovered, the find at Sulawesi is certainly no slouch. When ranked strictly on a timeline, it slots comfortably into the top three. Age, however as so many vibrant, older folks are fond of saying is just a number; and the “when” of this particular painting, (impressive though it may be), is not what makes it so special.

It is, of course, the “what” of the thing.

- Continued on Page 24 -

havenmagazines.com 22
001 001 001 001

STORYTELLING

23
002 002 002 002
Photo by Christian Stella

On its face, the pictograph depicts a simple hunting scene. It is only upon closer inspection that it becomes clear the human characters have been rendered with exaggerated, animal-like features. Long snouts. Beaks. Horns and tails. Anthropologists refer to these types of artistic figures that appear in early human cave art all over the world, as “therianthropes.” A fancy word for Animal-People. Hybrids or shapeshifters.

In the painting, the hunters wield spears and face off against a menagerie of beasts that although recognizable as native fauna have been portrayed as outsized, disproportionate monsters. Kaiju-sized dwarf buffalo. King Kong warthogs. Taken together the therianthropic flourishes of the hunters, the gigantic creatures these artistic liberties suggest the pictograph may in fact be an expression of prehistoric folklore. Something more akin to mythology, or a fantasy narrative, than to a simple act of rote record-keeping.

Put simply, the Liang Bulu’Sipong 4 pictograph may very well be the oldest known example of recorded storytelling in human history.

Right around now you might start to wonder where the hell I’m going with all of this (admittedly pretty cool) cave painting history blather. That’s fair. Perhaps you’ve even backtracked

24 003 003 003
Jeremy + Christian Photo Provided

to check you haven’t missed something. Or skimmed ahead, searching out keywords to confirm you’re reading the right article. Wasn’t this supposed to be about a local filmmaker? Something about that grumpy-looking bearded guy at the local brewery making some kind of monster movie?

Don’t worry, you’re in the right place.

I’m just having a bit of fun with storytelling structure. Employing a common entertainment trope known as “the cold open,” in which a movie or TV show begins suddenly, often in an unexpected setting, with unfamiliar characters, in media res. Essentially, the audience is dropped into the middle of an ongoing drama, devoid of context, and expected to trust that the storyteller will make it all make sense later.

Believe it or not, I do actually intend to try to draw a line across a vast chasm of time, and connect a moment in ancient human prehistory directly to my own personal pre-high school adolescence.

Because forty-four thousand years after that story went up on that cave wall in Indonesia, in the Summer of 1993, my life changed forever.

Now, whether or not I manage to connect those two moments in a remotely convincing (or at the very least, compelling) way without running this whole thing off a cliff into a sea of pretension is still very much up in the air. Fifty-fifty, I’d say. For one, because how any one reader responds to any piece of writing is an inherently subjective experience. Also, quite simply, I haven’t written it yet.

So, you’re just going to have to trust me.

To help in that regard, you should know that I am also utilizing another, quite famous, storytelling trope in this opening. More of a “rule,” really, and one I have always endeavored to follow. Known as “Chekhov’s Gun” it is a narrative principle, established by Russian playwright Anton Chekhov, which states that if, in the beginning of a story, a gun is mentioned, or seen hanging on a wall, by the third act, it had better be fired.

Otherwise, it shouldn’t be there.

The Sulawesi cave painting is Chekhov’s Gun.

- Continued on Page 26 -

25 004 004 004 004
Photo by Christian Stella

II: THE COUCH, AND THE DOOR.

Isaw a couch in front of a door.

That’s how we got here. How all of this started.

The script I wrote. The movie it became. On up to this very article, even.

This is, of course, a wild oversimplification. The main thrust of the screenplay—concerning long term relationships and the inevitable resentment that festers when one person shoulders the lion’s share of the sacrifice necessary to maintain it had been percolating in the dark parts of my head and heart for years before I ever had “the vision.”

Similarly, my singling out those three specific milestones— screenplay, movie, this article intentionally glosses over the countless, arguably more important bits that came between them. All the hard parts. The really tough stuff. It ignores the struggle. The best, most rewarding experiences. The blood in the veins. The meat on the bones. The shit that really sticks in your teeth. Moments that, were I writing a different article, would be milestones in and of themselves.

It is, in fact, another example of the profound power of storytelling: Its ability to collapse time. To turn entire epochs into ellipses. Those bits of white space between the script, the movie, and this article, essentially add up more than a quarter of my entire life. But in the interest of brevity (something I’ve never been particularly interested in, and as a result, have rarely managed to achieve) I have no choice, for now, but to leave those moments in the ellipses…

And get back to that damned couch in front of that door.

To be clear, it wasn’t a dream. I didn’t sit bolt-upright in bed, break out in a cold sweat, and reach for a notebook on the nightstand. I never considered it a premonition or prophecy of any kind because, well, that would be crazy. And I only previously made reference to it as a capital-V vision with my tongue planted firmly in the meat of my cheek.

It was just an image. A flash across my mind’s eye that lasted all of an instant.

Come from nowhere. Apropos of nothing.

Like a bug smacking a windshield.

There wasn’t even anything particularly interesting about either the couch or the door outside of their unusual proximity to one another.

There was no corpse on the couch. No family sat on it, all dressed up in period clothes, like Dust Bowl-era farmers in their Sunday best; only with black eyes and their mouths sewn

shut. There was no enormous Saint Bernard sprawled across the cushions, either. Slobbery, slick red muzzle. Gnawing on a long bone… With a foot on the end of it.

It was just a couch. It was every couch ever made. All distilled down into one. The couch from every classic sitcom. The one the title family all piles onto in the opening credits. All shouldered together, smiling and being silly.

The door was equally unremarkable. There were no bullet holes. No misspelled Beatles song title scrawled across it in blood. It wasn’t at the end of a long hallway, locked from the outside, with a peephole in the middle, looking in. Nor did it open on a rickety staircase that disappeared into a basement… where something, somewhere down in the dark, was growling softly.

It was just a door. Wood. Painted, off-white, maybe. Maybe not, I’m not sure. But there was one other curious detail that stood out about it at the time: It was a front door.

The main artery through which family and friends, food, overdue homecomings, big hugs, and sometimes bad news and even bad guys, flow directly into the heart of a home. And that couch, the one shoved up against it–it should be noted the inside of the house. All but wedged into a narrow foyer. Its plush, curving arms scraping the walls on either side.

I was, of course, immediately aware this was an unusual place to find a couch, not least because it flew in the face of nearly every, unassailable tenet of Feng-shui. I simply had to know more.

Who would do such a thing? Why would they do it?

Certainly, it wasn’t to stop someone getting out. Moving the couch to get out the door would be annoying, no doubt; and it would surely slow any attempted escape. But it was, at most, a minor inconvenience.

Perhaps then, I surmised, it had been dragged out into the mud room and shoved up against the door in an attempt to keep someone out.

Maybe even something.

That had to be it. It was the only thing that made sense: I was looking at a rudimentary, hastily constructed barricade.

I still had no idea who had put it there, but I had just managed to hook my fingertips on the edge of the “why.” Which, of course, turned out to be merely the flaky skin on the outside of an onion; and my peeling it away had managed only to reveal layer after layer of countless new questions.

Not least of which was: If the couch was in front of the door to keep something out…

What the hell was trying to get in?

I sat down at my computer, opened my screenwriting software, and wrote the following:

havenmagazines.com 26
005 005 005 005

INT. HOUSE - MORNING

HANK wakes up on the couch.

He is in his early thirties but is carrying a few more years under his eyes, and in the wiry beard on his neck and jowls.

He swings his feet to the floor and yawns and cracks the knuckles of his toes on the hardwood.

Two things suddenly make this otherwise pedestrian moment quite surreal:

The first, is when he pulls an enormous double-barrel shotgun from the cushions behind him and lays it casually across his lap.

The second, is when it becomes apparent that the couch...

IS BARRICADED AGAINST THE FRONT DOOR.

Hank yawns. He scratches his greasy head. He claws the crust from the corners of his eyes.

Then he stands with the shotgun and stretches and groans and lumbers out of frame.

For a moment we linger on that bizarre image:

A couch, in front of a door.

- Continued on Page 28 -

006 006
Photos Provided

Boom! Mystery solved. I had figured it out! The person who had built the strange couch-barricade was…

A guy named Hank, apparently. Who–not coincidentally (on the off-chance I managed to finish whatever this was and get it made)–happened to look quite a bit like me. Though I still had no idea who this man really was, where he was, what he did for a living, or what he was trying to keep out of his house, I had made a bit of progress.

That opening scene amounted to almost one single page of a screenplay.

And this, dear reader, is but a glimpse into the maddening, inefficient, nightmare that is–and has always been–my writing process. Try as I might, to plot out my stories with Joseph Campbell’s Hero’s Journey, or make “mind-maps” or beat sheets, or lay three acts out on Syd Field’s Screenplay Paradigm, or in Dan Harmon’s Story Circle, I have never once managed to actually do it.

Everything I have ever finished has been the result of a flash of inspiration, followed by weeks, months, and often years of blindly groping in the dark for breadcrumbs and lifelines.

This article is no exception. It is part of the reason I resisted committing to it for so long. It is also why I have amassed no fewer than nine individual documents comprising an equal number of false starts over two months attempting to write it. And it is why I am still bushwhacking through word thickets on the eve of a deadline while my wife works my shift at the bar, to give me every last minute to maybe find my way out of the writing woods.

Speaking of the woods…

havenmagazines.com 28
007 007 007 007
Photo Provided

III: THE TERRIBLE WILDERNESS OF THE MIDDLE.

WhenI first saw the A.A. Stivender House, there was a moment however brief in which I thought I had actually manifested the damned thing.

That I might literally have written it into existence. Willed the house into the world through sheer force of imagination. The power of a pen on paper. I could almost see it happening. Set back from the road as it was, hidden in a hug of oak trees behind curtains of Spanish moss, literally building itself, a board at a time. Not all at once, but over months and years. Each time I wrote a sentence referencing Hank’s home it would grumble awake in the woods and grow a little more. A little bit bigger. From the foundation to the wide wraparound porch, on up to the tall brick chimney jutting from the roof like a castle spire. Its crown choked by an enormous osprey nest. A beautiful green bloom of infection threatening to spread over the whole of the place that called to mind “The Lonely Death of Jordy Verill,” from George Romero’s Creepshow

In reality, of course, none of that happened. The enchanting, imposing, Italianate-style home that would become a major character in my third feature film was already standing a full hundred years before I was even born. Built in 1881, by a dentist from Alabama in what would become the city of Leesburg, Florida, (but at the time was a small citrus-industry outpost known as Eldorado,) it was absolutely perfect.

So perfect, in fact, it had already been featured in a major motion picture years earlier. Away We Go was a sweet, rambling dramedy starring Maya Rudolph and John Krasinski, as a couple on the verge of parenthood who travel the country visiting friends and family, looking for the perfect place to put down roots. In the end, they decide on the childhood home of Rudolph’s character. Enter, the A.A. Stivender House.

This connection was no coincidence of course. The house had been suggested to us by our friend, Juan Ortiz, who is a talented filmmaker in his own right. (Seriously, if you’re curious what I look like in a knit panda mask eating a severed thumb, check

out his film Fingers). Anyway, years earlier, Juan had been hired to sit at the Stivender property to ensure no one vandalized the Away We Go set overnight. During these security details, he would often call Christian Stella, my co-director and lifelong filmmaking partner, just to have someone to talk to in order to distract him from the spooky sounds and pitch-black darkness of the location.

It is no wonder he insisted we consider the place for our monster movie.

Which, by the way, we were finally, officially, actually making.

And it had only been six years since I first saw that couch in front of that door.

- Continued on Page 30 -

29
008 008 008 008
Photo Provided Photo Provided

In that time the script had gone through countless rewrites. Some, a product of my own restless tinkering; but a fair amount that were insisted upon by a rogue’s gallery of producers (with mostly good intentions) who mostly, eventually, just quietly vanished. My personal life had changed dramatically in that time, and I had begun to question, if we ever managed to get the movie made, whether I would still be able to relate to the themes and emotions that had inspired me to write it in the first place.

By the last of those endless drafts, one character had been cut down to nearly nothing, two characters had been collapsed into one, (come to think of it, two monsters had been collapsed into one) and nearly thirty pages had been excised completely. Somehow though, I mostly still recognized it as the story I originally wrote.

The biggest change to the script however, wouldn’t be implemented until that final rewrite.

During a conference call with investors and producers, I got the sense that interest might be flagging a little when the subject of where we envisioned shooting the film was raised. From the very first draft, I had always imagined the story taking place in New England. I was living in Connecticut when the story was written, and we had shot our previous two features in the upstate town of Kent, near the border of southwestern Massachusetts. At that time, there had been quite a few recent indie, artsy, horror movies set in the moody, foggy forests and meadows of old-world America, and for some reason, without running it by my partners, I blurted out something along the lines of:

“I’ve always wanted to make a movie in the middle of Florida. In the part of Florida most people don’t see. The part that feels like the south. No beaches or theme parks. I’m talking about sweet tea and Spanish moss. Snakes and gators and swamps and old orange groves and good old boys in big trucks.”

A month later, we were knocking on doors in Leesburg, trying to find the owner of the house I thought I might have written into the world.

havenmagazines.com 30
009 009
“I’ve always wanted to make a movie in the middle of Florida. In the part of Florida most people don’t see.”
009 009
Photo Provided Photo Provided

IV: MAKING A MONSTER

Much ink (and even more audio) has been spilt on the After Midnight.

And why not? Filming a movie is the fun part.

Running around town scouring flea markets and thrift stores and filling a box truck with enough furniture and knick knacks and bric-a-brac to turn a hundred year old home with no electricity or running water into something that looked warm and loved and livedin. Catching a half dozen beautiful yellow rat snakes that seemed to be furiously mating and occasionally dropping from the rafters onto the porch. Working with some of my favorite creative people in world. Trying not to crack up laughing next to Henry Zebrowski, one of the funniest comedians alive, every single time he was on camera; and at one point having to be gently told by producers during the editing process: “You know you can’t leave every single one of his ad-libs in the final movie, right?” Getting permission to sing, screen, the entirety of a song that was a touchstone anthem of the early nineties. And of course, having the unbelievable opportunity to have one of my special effects heroes make a full-body, practical monster suit inspired by words I wrote, and then getting to actually physically fight that monster. It was a dream. Every single day.

Of which I believe there were exactly eighteen.

That’s it. Eighteen days. Less than three weeks.

Then it was off to a dark room to edit and color correct and sound design and sound mix and add temp score and argue and wait for the real score and phone calls and phone calls and notes and notes and notes and notes and flying to Los Angeles to make monster roars snarls and growls and oh by the way, I wasn’t working while all this was happening so pretty soon it was back to the day job!

Which brings me to another reason I politely declined the offer write this piece, and screen our film, in the past:

I don’t particularly like telling people I’m a filmmaker.

More often than not, I would rather most people not know I make movies.

I am well aware what a difficult circle that is to square, given three thousand bloviating words I’ve dedicated to talking about precisely that subject up to this point.

And in the spirit of transparency to peel back the curtain a bit this particular section has proven such a difficult and delicate to write, I have in fact skipped it, written the ending, and come back to it now to tackle it last.

There is just simply no easy way to say you would rather the public at large be unaware of your ambitions, without sounding either ashamed of said ambitions, or otherwise ungrateful of the job that keeps your lights on and supports your pursuit of those goals.

And yet I am neither ashamed nor ungrateful of either.

On the contrary, were my moviemaking endeavors ever considered to be even the faintest of freckles on the vast body of cinematic history (somewhere on the back of the thigh probably) it would be one of the proudest achievements of my life.

Similarly though it may be harder to believe job slinging beers at Grove Roots Brewing, to be one of the most

rewarding “obligations” I’ve ever had the privilege of lucking into. Had I not weaseled my way into such a warm, supportive place, there is little to no chance my wife and I would still be in this town, let alone the state.

It may be a cliche to say your coworkers are your family; but if they all end up members of your wedding party, and their children are your flower girl and ring-bearer, or when they’ve given you six months off to make a movie, and so many customers ask after you that they name a beer “Where’s Jeremy?”, the sentiment rings a bit more true.

Nevertheless, regardless how I feel about my involvement in either my day job or my dream job, they are rarely symbiotic. Consider the following, fairly common scenarios:

INT. BREWERY - NIGHT

Jeremy is behind the bar. A customer approaches.

JEREMY

How we doin today?

CUSTOMER

Good, good.

JEREMY

Can I help you find something?

CUSTOMER

Don,t you make movies?

JEREMY

Uhh, well... Kinda, yeah-

CUSTOMER

Cuz I make videos too. I got this new drone, and I,m trying to make a bunch of promo stuff...

Jeremy sighs.

INT. BREWERY - AFTERNOON

DISSOLVE TO:

Jeremy hunches over the sinks behind the bar, washing dishes. A customer approaches.

CUSTOMER

Hey you make movies right?

JEREMY

I’ve made a couple, yeah.

CUSTOMER

What are they called?

- Continued on Page 33 -

010 010 010 010

THEGALA

Save the Dates:

Online Silent Auction:

OCTOBER 27 - NOVEMBER 2, 2023

The Gala:

THURSDAY, NOVEMBER 2, 2023

Please join us at Polk County’s premier fundraising event, the Winter Haven Hospital Foundation Gala. This year’s Gala event will feature live music by Atlanta-based “THE MAXX”, four-course gourmet dinner, exquisite wines and open bar, and exciting auctions filled with incredible trips and experiences.

All proceeds will be utilized locally to support the Foundation’s American Psychological Association accredited Clinical Psychology Training Program.

For more information: (863) 292-4138 or whhfoundation@baycare.org

Mr. & Mrs. George O’Neill, Jr. Presented by:
SCAN TO EXPERIENCE THE GALA

JEREMY

Well there,s a few, but the ones I wrote and directed myself-

CUSTOMER

Cuz I got one of those Fire Sticks, so I can watch pretty much any movie for free.

Jeremy sighs.

INT. BREWERY - NIGHT

CUSTOMER

I heard you make movies.

JEREMY

On occasion.

CUSTOMER

You gotta cast me in the next one.

INT. BREWERY - EVENING

CUSTOMER

Are you the guy that makes the movies?

JEREMY

Uhh, I mean. Probably, yeah.

CUSTOMER

Well there,s no paper towels in the men,s room.

Obviously, these interactions are the exception, not the rule. And for the most part the people I have met in this town have been supportive and generous, to an almost sickening degree. In fact, when it was announced After Midnight would have its international premiere at a festival in Switzerland, the regulars at the brewery were the ones who bought nearly a thousand dollars worth of t-shirts I’d designed to try and raise money to make the trip. Most of them never even picked up the shirts. They just wanted to help.

The reality is, I have gone bowling with [name redacted] and competed in a Moon Pie eating competition with [name redacted]. I have snuck out of a live performance in Montreal to get burgers with [name redacted] and done a live, drunken reading of the Road House screenplay for charity with [name redacted]. I have stood for an hour, signing autographs in a foreign country after a sold-out screening of my film, and been all over the world and won countless audience and acting awards. I did a People magazine photo shoot at the Tribeca Film Festival where my last movie had its world premiere, and if all of that sounds a bit pompous that’s because it is supposed to.

Because I often find it very difficult to explain these things to people when they think it is “cute” that I make “videos.” And I rarely feel like a filmmaker, when I’m sweeping up glass or cleaning up spills.

So, why have I agreed to write this at all?

Well, first and foremost, because twenty-five years ago, in my hometown of Kissimmee, Florida, someone thought it worthy to organize a film festival.

Because of that person, that event, and that communal space, my friends and I felt inspired to make our first feature film. We also met numerous other aspiring filmmakers we never would have known were making the same kinds of silly movies in the same stupid town. One of those people, twenty years later, would ask me to put on a panda mask and eat a man’s thumb, and later lead us to that hundred-yearold house I might have manifested.

So if writing this article, or screening our film, somehow facilitates an interaction between a few shy kids who feel like they’re alone in wanting to make weird movies in this big, weird, state, well, then every unsolicited audition I’m forced to endure, or drone reel video I’m forced to watch on someone’s phone while I’m working will be worth it.

Now, about that cave painting…

33 havenmagazines.com
011 011 011
Photo Provided - Continued on Page 35 -

Fall in for Beauty, Serenity and More!

havenmagazines.com 34 New to Florida’s Sweetest Spot? Swing by the Welcome Center. Home of the USA Water Ski & Wake Sports Foundation Hall of Fame Museum. 1-800-828-7655 | VisitCentralFlorida.com. Where Central Florida Fun Is Found. FOR DISCOUNTS AND SPECIAL OFFERS, SCAN THE QR CODE TO SEE THE POLK SAVINGS PASS. Go! 1151 T O WE R B OUL E VA R D | L AK E W AL E S , F L 3 3 853 | 8 6 3 676 14 0 8 | boktowergardens.org SPONSORE D N PA RT BY Discover A Great Calendar of Events and Concerts RUNA October 6 Fall Wine Walk October 14 Dervish November 3
the natural side of Bok Tower Gardens this fall
Florida’s native wildflowers bloom with beautiful colors. Explore the biodiversity found along the beautiful trails of the Pine Ridge Preserve and take a comfortable stroll through the historic Olmsted Gardens. Enjoy daily Carillon concerts at 1 p.m. and 3 p.m.
Discover
as

V: CHEKHOV’S CAVE PAINTING 2: THE PAINTENING.

Iwas twelve years old in the summer of 1993; so the particulars of the night itself escape me. But considering it was the middle of June in the middle of Florida, it’s probably safe to assume it was pretty damn sticky outside. And for my money, humanity has yet to dream up a more perfect sanctuary from the heat than the cool, dark of a movie theater.

Which is where I found myself that evening.

I have to assume some of the more film-savvy readers, by this point, have long figured out what it was I saw that night, so I won’t beat around the bush any longer…

It was Jurassic Park.

Steven Spielberg’s classic sci-fi adventure may seem like little more than big budget, high-brow Hollywood camp to some people; but I imagine those people weren’t twelve when they first saw it.

I was obsessed with dinosaurs as a child. My grandmother is fond of recounting being told by my first-grade teacher that I corrected her spelling of Diplodocus

And here they were, larger than life, flesh and blood, as real as anything I’d ever seen.

Jurassic Park is not my favorite film of all time, but it will always have a piece of my heart, and it changed the trajectory of my life because I became so infatuated with the film (mind you, this was before the internet) that I gobbled up every bit of media I could find about it in an effort to stay connected to the feeling I had from watching it. Magazines. Newspapers. TV news shows like 60 Minutes and late night talk show interviews with the cast. As a result, I became, for the first time, keenly aware of the making of a movie, irrespective of the experience of simply seeing it.

And I would never watch a movie the same way again. I devoured every issue of magazines like Premiere and Entertainment Weekly. Fangoria and Filmmaker. I knew directors’ names. Special effects artists. Character actors.

Knowing and talking about these things informed the friends I made, and eventually, the things we made together. From that day forward, I have always been as compelled by the way these stories are told, as I am with the stories themselves.

As for how I plan to try to tie that 44,000 year-long line to that moment in 1993? Well, I think it’s kind of obvious:

I went into a dark cave and saw a story on a wall in which humans squared off against enormous, terrifying creatures.

And the fact that all those millennia ago, some unknown, ancient ancestor, felt compelled to tell a similar story on a wall in a dark cave, makes my lifelong passion for telling and experiencing those same kinds of stories feel like a profoundly and intrinsically human one.

And that makes me feel like it is a noble, worthwhile pursuit.

However, if after slogging through this (admittedly long-winded) pap, that connection feels like a tenuous stretch at best, or is otherwise underwhelming to you; allow me to hedge my efforts with one last storytelling trope…

It is called “The Unreliable Narrator.” Which, I think, is fairly selfexplanatory.

Basically, it means you never should have trusted me.

PLEASE JOIN US FOR A PRIVATE SCREENING OF AFTER MIDNIGHT WHILE WE RAISE FUNDS FOR THE HISTORIC RITZ THEATRE.

Q & A WITH DIRECTORS JEREMY GARDNER AND CHRISTIAN STELLA TO FOLLOW.

OCTOBER 26, 7 PM

VERY LIMITED SEATING, PLEASE RESERVE YOUR TICKETS IN ADVANCE.

CENTRALFLORIDATIX.COM

35
012 012 012 012
Thank you for two years! Open Daily || Breakfast . Lunch . Coffee . Bread 140 6th St SW, Winter Haven || HoneycombBread.com Commercial & Business Litigation | Contract & Insurance Litigation Real Estate Litigation | Corporate Matters | Estate Planning & Probate Call to schedule a consultation: 863-656-6672 southernatlanticlaw.com | 520 6th Street NW, Winter Haven WE LOVE WINTER HAVEN, AND ARE PROUD TO BE A MEMBER OF THIS VIBRANT COMMUNITY. We are incredibly thankful for our clients who have voted us the best!

Cravin’Haven

If you’re craving something, chances are it’s on the menu at Cravin’ Haven. This rotating menu food truck boasts “food with no borders” and an inviting patio dining space. What started as ‘just something to do’ became the Best Food Truck in Winter Haven in only a year.

Winter Haven resident Phillip Brooks worked in construction for 25 years. A year and a half post-retirement, Brooks was getting restless. Ex-wife Mandy Brooks encouraged Phillip that if he was going back to work, it should be something he wanted to do. He decided to open a food truck. “I’ve done a little competitive cooking,” Brooks said. “I’ve just always loved to do it. I didn’t realize it was such a big job until we got this place here.”

After a year of preparation, Cravin’ Haven opened off Dundee Road on September 23, 2022. Just a few days later, Hurricane Ian barreled through the state. To say it was a rough opening would be an understatement. But, a year later, Cravin’ Haven has built a loyal following and was voted Best Food Truck in the 2023 Best of Haven readers’ choice awards.

THE FOOD

“I knew that I wanted to be able to serve what I want to,” Brooks said. “I always knew I’d be serving some sort of barbecue.” But Cravin’ Haven isn’t a barbecue joint by any means. This Dundee Road dining destination offers “food with no borders.” Patrons might get a barbecue brisket sandwich one day and a banh mi another. Brooks has chosen not to limit his offerings to one culinary genre.

Their rotating menu includes fan favorites like brisket, pork, or ahi tuna tacos, as well as their famous smash burger. “The most fun part is I just love cooking and coming up with new menus,” Brooks said.

Cravin’ Haven’s tacos come served in upright stands, so they don’t slide all over the place – an appreciated touch. Though each delicious in its own right, the ahi tuna tacos stole the show. Two tacos are filled with succulent seared ahi tuna and topped with micro greens, avocado, fresco cheese, sprinkled with sesame seeds, and finished with house wasabi lime aioli.

- CONTINUED ON PAGE 39 -

37
WORDS Tara Crutchfield PHOTOGRAPH Amy Sexson
havenmagazines.com 38
Katie + Phillip

Second only to the tuna tacos was the gourmet smash burger made with a homemade ¼ pound burger piled with American cheese, lettuce, tomato, pickles, and onion, served with fries and coleslaw.

Their fresh, all-natural jumbo chicken wings are also climbing the ranks for a top spot on the menu, available in garlic parmesan, barbecue, or Buffalo (mild, medium, or hot). Don’t skip out on the authentic Cuban sandwich pressed with house-smoked pork, ham, pickles, Swiss cheese, and mustard on Cuban bread.

Though one might be tempted to take their food and escape to the air conditioning from the oppressive Florida heat, Cravin’ Haven’s screened-in patio is a shaded spot to lounge for lunchtime. A breeze wafts teasing aromas from the food truck into a screened-in patio with ample seating and string lights.

THE TEAM

“When I opened it, I opened it for me, so I’d have something to do. I never thought for a second that it would take off like this,” Brooks said. Some of his biggest supporters have been ex-wife and friend Mandy Brooks and her mother, Brenda Mitchell. Brooks said of Mandy, “She’s been a massive help from day one.”

Brooks now has four employees and a traveling food trailer in addition to the stationary food truck. Daughter Katie is on the team, along with prep cook Renee, and Ryan, who works in the traveling trailer. “The biggest surprise is how we’ve been accepted,” Brooks said. “It grew really fast around me.”

Katie, who formerly worked in a food truck at LEGOLAND, discussed the best part about working at Cravin’ Haven. “Just working with family is good and getting to know all our customers,” she said. She noted the food truck’s success: “It’s amazing. […] I’m so honored.”

A year in, Brooks has his sights on a brick-and-mortar with no set plans just yet. “I think that’s anyone’s dream to see their food truck go to a brick and mortar. Just waiting on that one investor,” he said. “I like this, what I’m doing. But a brick-and-mortar would be the payoff. It would mean I made it.”

Cravin’ Haven 3223 Dundee Rd., Winter Haven 863-604-9423 cravinhavenfl.com

FB: Cravin’ Haven IG @cravinhavenfl

39

WHY DINING LOCAL MATTERS

havenmagazines.com 40 Support the diversity of our neighbors enriching our community through food. Support local restaurants

Death Wish

3 ounces whiskey

1 ounce Benedictine

5 ounces cold brew coffee

2 teaspoons maple syrup

1 egg white (raw)

Ice Grated cinnamon for garnish

In a cocktail shaker filled with ice, add whiskey, Benedictine, coffee, maple syrup, and egg white. Shake vigorously. Strain into 2 glasses over ice, garnish with grated cinnamon. Ages 21+ please drink responsibly. *Recipe adapted from The Sexton.

Mocktail: In a tall glass, add 4 ounces cold brew coffee and 1 teaspoon of maple syrup. Add ice and stir to combine. Pour 3 ounces tonic water over top of coffee mixture, stir gently. Garnish with an orange peel twist.

41
free parking free entrance pioneer celebration Old-Fashioned Family Fun Live music & Entertainment Handmade & Craft Market Heritage Demonstrations Antique Car & Tractor Show

Check Me Out ;)

THE HAUNTING OF ALEJANDRA

LONE WOMEN

In 1915, Adelaide Henry, after her secret sin killed her parents, sets out for Montana, dragging an enormous steamer trunk that’s locked at all times, to become one of the “lone women” taking advantage of the government’s offer of free land where she hopes to bury her past.

Struggling with a darkness that threatens to consume her, Alejandra discovers she, like the women in her family before her, is being haunted by La Llorona, the vengeful and murderous mother of Mexican Legend, and must summon everything she’s inherited from her foremothers to banish this demon forever.

HOW TO SELL A HAUNTED HOUSE

Forced to return to the small Southern town where she grew up to sell her late parents’ house, Louise discovers that her and her brother’s old grudges pale in comparison to the terror that still lurks within its walls.

VAMPIRES OF EL NORTE

When the US attacks Mexico in 1846, Nena, a healer striving to prove her worth, and Néstor, a member of the auxiliary cavalry of ranchers and vaqueros, find their reunion overshadowed by the appearance of a nightmare made flesh.

A HAUNTED ROAD ATLAS

This guide includes some of the country’s most notorious crime scenes, hauntings, and supernatural sightings. You’ll also find Christine and Em’s personal recommendations to the best local bars and ice cream parlors, oddity museums, curiosity shoppes, and more.

THE HAUNTING OF ALMA FIELDING

The Edgar Award-winning author of “The Wicked Boy” documents the story of 1930s Hungarian ghost hunter Nandor Fodor and the traumatic details surrounding the case of a London housewife’s bizarre supernatural experiences.

LITTLE BLUE TRUCK’S HALLOWEEN

Picking up his animal friends for a costume party on Halloween, Little Blue Truck attempts to guess the identities of his dressed-up passengers while thinking about what kind of costume he should wear himself.

VEGETABLES IN HALLOWEEN COSTUMES

It’s Halloween! All the Vegetables are excited to dress up for Carrot’s Halloween Party. There are spooky costumes and scary costumes; costumes for feeling fancy and costumes for feeling goofy. But which costumes should Carrot wear?

SAMMY’S SPOOKTACULAR HALLOWEEN

When Sammy gets to be in charge of the family’s haunted house, he gets right to work, but his family isn’t sure they can take a full year of Sammy’s spooky tricks.

MARY ANNE’S BAD LUCK MYSTERY

Mary Anne should never have thrown away that chain letter she got in the mail. Ever since she did, bad things have been happening to everyone in the Baby-Sitters Club. With Halloween coming up, Mary Anne’s even more worried-what kind of spooky thing will happen next?

43
Compiled by the staff of the Lakeland Public Library 100 Lake Morton Dr, Lakeland Larry R. Jackson Branch 1700 N Florida Ave, Lakeland lakelandgov.net

Bartow Ford Presents Lee Brice

Bartow Ford has been giving away a truck during the fall for as long as Bartow Ford President Benny Robles Jr. can remember. He noticed that when it came time for the giveaway, only a few finalists and family members would show up. “I always felt like, especially back in the day, when you hear about a dealership giving away a vehicle, you kind of write it off as a hoax or a gimmick to get people in the door. And we really are giving away an F150,” he said.

“I wanted to come up with an idea where a lot of people would be there from the community, but I wanted it to be fun for the community. There’s no radio spot or TV commercial I can do that’s going to make someone buy a vehicle that day, but if I can have a wonderful time with the community and they have a wonderful time at the dealership, and in the meantime, we raise a lot of money for local charities – that should stay pretty top of mind,” Robles said. “We feel like the community is really what makes Bartow Ford special, whether it’s the employees that we have or the customers that we have – we feel like they’re part of our family. To be able to get together, have a great time, listen to some country music, and give away an F150 sounded like a good idea.”

Last year, the dealership launched Bartow Ford’s Concert on the Lot Series. They’re revving up again for a premier county music concert featuring multi-platinum GRAMMY nominee and CMA and ACM award winner Lee Brice. Joining Brice on the Bartow Ford stage is good friend and country music vocal powerhouse Randy Houser. “We are so excited to bring this entertainment experience to Polk County at a ticket price that makes it affordable for more people in our community,” Robles said. “We promise it will be a night to remember.”

Bartow Ford is partnering with 97 Country and The Dallas Bull for the November 11 event, which will be held at the dealership. Doors will open at 5 pm, and music begins at 6:30 pm. A variety of food and beverage vendors will be on hand. In addition to the night’s entertainment, one lucky concert attendee will win a Ford F150. Contest details will be available on BartowFord.com as the event gets closer.

Bartow Ford is committed to charitable work with organizations like the Achievement Academy and VISTE, and this event will be no different. Tickets, which can be purchased at BartowFord.com, are $31. A portion of the proceeds will go to the Humane Society of Polk County and the Wounded Warrior Project. According to woundedwarriorproject.org, “The WWP mission is to honor and empower Wounded Warriors who incurred a physical or mental injury, illnesses, or wound, co-incident to [their] military service on or after September 11, 2001.” As the concert falls on Veteran’s Day, Robles said, “I also want to take care of the veterans because we appreciate all the sacrifices they’ve made.” Robles said he looks forward to interacting with the community at the event. “I feel like that’s what makes it special, that connection.”

LEE BRICE

When Lee Brice isn’t selling out arenas, writing and recording songs, or building new brands like American Born whiskey, you’ll find the family man with his wife Sara, two young boys, and baby daughter. Meanwhile, with more than 14 million in RIAA-certified sales and streams, and nearing three billion spins on Pandora, Brice continues to enjoy massive success at country radio, digital streaming services, and on the road. Lee is also a GRAMMY nominee, a CMA nominee, and a double ACM award winner, and he’s taken six radio singles to Number One: “A Woman Like You,” “Hard To Love,” “I Drive Your Truck,” “I Don’t Dance,” “Drinking Class,” and “Rumor.” Garth Brooks, Jason Aldean, Kenny Chesney, and others have recorded his songs, and he’s performed on numerous TV shows, including NBC’s Today, ABC’s The Bachelor, NBC’s The Voice and FOX’s Miss USA 2018. Lee’s “Rumor” is the current single from his fourth studio album, Lee Brice, released November 3, 2017, on Curb Records. The RIAA Certified Platinum single is Lee’s sixth number-one hit, appearing in the top spot on the Billboard, Mediabase Country Radio, and SiriusXM’s “The Highway” Top 30 charts. It has also surpassed 280 million on-demand audio & video streams in the US, with over 300 million worldwide. For more information, go to LeeBrice.com.

RANDY HOUSER

With an inimitable voice, The New York Times describes as “wholly different, thicker and more throbbing, a caldron bubbling over,” Randy Houser racked up three consecutive No. 1 hits and more than four million in singles sales to date with his Stoney Creek Records album How Country Feels. He topped the charts with the title track, “Runnin’ Outta Moonlight” and “Goodnight Kiss” (also his first No. 1 as a songwriter) and earned critical acclaim for his powerful delivery of the Top 5 smash and CMA Song of the Year-nominated “Like A Cowboy.” Houser added a fourth No. 1 to his catalog with “We Went” from his 2016 album, Fired Up. Houser’s sixth studio album, Note To Self, is available now via Magnolia Music Group and features ten tracks, all co-written by the Mississippi native. Currently in the top 30 and climbing at Country radio, lead single and title track “Note To Self” marked his “powerful return” following 2019’s critically-acclaimed album Magnolia, with MusicRow boasting the Mississippi-native, remains one of country music’s very finest vocalists.” With multiple sold-out shows in 2022, including an at-capacity stop at Nashville’s Ryman Auditorium, Houser wrapped his coheadlining tour with longtime friend Jamey Johnson and is currently on the road with Cody Johnson. Along with preparing new music and a relentless touring schedule, Houser landed onscreen roles in Martin Scorsese’s upcoming film Killers of the Flower Moon starring Leonardo DiCaprio, Robert De Niro, and more, as well as the inspiring The Hill starring Dennis Quaid. For more information, go to RandyHouser.com.

havenmagazines.com 44
45
Lee Brice Photo Provided

WORDS

Greetings, brave souls of the neighborhood,

As the twilight of the spooky season creeps upon us, the air fills with whispers and rustles - not from wandering spirits but from our mysterious nocturnal neighbors embarking on their nightly flights.

Yes, we’re talking about the bats, those silent acrobats of the night sky, dancing their eerie ballet as darkness falls. While they have often been associated with tales of the supernatural, bats are truly fascinating creatures that hold secrets and wonders in their wings. Let’s unveil the mystique that surrounds these creatures and discover how we can protect and appreciate them right here in our community.

BUSTING BAT MYTHS

Before we fly further, it’s time to bust some common myths that have haunted the reputation of bats for ages. Contrary to the sinister roles they often play in spooky tales, bats are not rodents or creatures to fear. They belong to the unique order Chiroptera, which translates to “hand-wing.” This not only grants them the gift of true flight but also allows them to perform gravitydefying acts of hanging upside-down effortlessly.

The three most common bat myths that people ask me about:

1. Vampire Bats are out to get me! Not to worry. Vampire bats are 100% real, and do feast on mammal blood. The good news, is they are not found in Florida, or even the US Southeast. Vampire bats live primarily in Central America and the American Southwest and feed, gently, on livestock or mammals in the wild. Humans are very rarely considered a part of their diet, and generally only if they are sleeping outside, cowboy style, under the stars.

2. Bats are a health hazard and should be feared! Bats can carry a few viruses and other nasties that can affect humans, yes. But, it’s very rare and avoiding that problem is so simple that there is no reason to fear bats in Florida. Most people are concerned about Rabies and Histoplasmosis, or Hantavirus. Rabies is the one to be most concerned about in Florida as bats are often one of the species with the most “positive” rabies tests, year after year. However, that’s likely because they are so easy to catch when they are sick! Unlike raccoons, coyotes, cats, or fox with rabiesbats do not become aggressive with rabies. They get sleepy and wander

about on the ground, during the day. This is why we always say - NEVER pick up a bat! If they’re out during the day or found wandering on the ground, they may be sick. Call animal control, instead. The best way to reduce the rabies threat in the community is to ensure dogs and cats are appropriately vaccinated.

3. Bats are voracious mosquito hunters! While it’s a common tale whispered in the chill of the fall evening that bats are voracious mosquito-eaters, the reality is a tad less thrilling. Most bat species in the U.S., including those fluttering through Florida’s night sky, prefer a diet rich in moths, beetles, and other flying insects, with mosquitoes making up only a small fraction of their feast. In Florida, the southeastern bat (Myotis austroriparius) has been known to consume more mosquitoes than other species, potentially resorting to this menu option more frequently on cooler nights when other insects are scarce. However, counting on bats as a formidable line of defense against larger mosquito populations might be a bit of a Halloween myth.

havenmagazines.com 46

WHY BATS MATTER

Amidst the shadowy tales, the vital role bats play in our ecosystem often gets overlooked. All 13 of Florida’s resident bat species are insectivorous! This means that all of the bats that call Florida home year-round (aka “resident”) feed primarily on insects. It’s estimated that 25% of the mammals on earth are bats and that 75% of bats feed on insects. Can you even imagine how many more insects we would have to contend with if we didn’t have this natural flying pest control service?!

These services are also very important to agriculture producers. Robust and diverse local bat populations are thought to be so effective at aerial pest control that agricultural producers may be using less insecticides in growing their crops. More research is needed before we can say for certain that this is true for Florida, but it has been documented to reduce the burden of pesticide purchases in South Texas and in the Mid-west. Bats eat a lot of agricultural pest insects including spotted cucumber beetles, green stinkbugs, and the moth form of fall army worms.

Bats contribution extends to scientific research, as well. Studying their behavior and instinctual skills is shedding light on diverse topics from mammalian hibernation to sonar technology.

TAKING STEPS TOWARDS BAT CONSERVATION

Despite their crucial role, bats face threats that have led to alarming declines in their populations. Here is where we step in. By joining forces, we can ensure the protection and conservation of these night-time allies. Here’s how we can help bats in Florida:

1. Promoting Safe Habitats: Encourage the spirit of hospitality by setting up bat houses, offering safe havens for these night flyers.

2. Avoid Disturbances: Maintain the sanctity of their roosting sites, especially during the nursery seasons, to protect the young ones from disturbances.

3. Responsible Pesticide Use: Cast away harmful pesticides from your gardens, embracing bat-friendly alternatives that safeguard their food sources. Spot-treat pest problems when absolutely necessary, after trying non-chemical practices.

4. Community Awareness: Brew a potion of knowledge and awareness to share within the community, stirring more people to join the conservation cauldron. Bats are super cool, let’s chat about them more!

5. To learn more about bats, consider listening to the Naturally Florida podcast episode: “Spooky Season, let’s chat about bats!” or contact your local Extension office. Our Polk County office has a myriad of bat resources for the spooky at heart to indulge in. You can also look at resources from the Florida Bat Conservancy, on their website: www.floridabats.org.

SPOOKY CONCLUSIONS

As we celebrate this season of mystery and magic, let’s extend our festivities to include our eerie yet essential nocturnal neighbors. By fostering a community where we live in harmony with bats, we not only protect them but also enrich our surroundings. This Halloween, I invite you to create a bat-friendly corner in your yard, adding a touch of nature’s magic to our neighborhood. You can learn more about building a bat house or purchasing a good bat house by reading, “Effective Bat Houses for Florida” by some of our experts at UF/ IFAS Wildlife! You can read that document, here: https://edis.ifas.ufl.edu/ publication/UW290.

Until our paths cross again in the moonlight, happy bat-watching and have a spooktacular Halloween!

Have you seen some bats in Polk? Share those videos with me by tagging me on social media! You can find me @PolkNR on Instagram and X/Twitter

You can contact YOUR local extension office, UF/IFAS Extension Polk County, at 863-519-1041 or online at http://sfyl.ifas.ufl.edu/Polk

47

Small City Rising!

WALKABLE, BIKEABLE, EATABLE, DRINKABLE

Six/Ten has plans to build additional townhomes and apartments in vibrant downtown Winter Haven.

Interested? Intrigued? Register your interest at ideas@sixtenllc.com

havenmagazines.com 48

October 2023 MORE EVENTS ONLINE

3V3 U9-ADULT COED SOCCER TOURNAMENTS

Oct 1, 2023, 9:00 AM - 5:00 PM

Polk State College

999 Avenue H NE, Winter Haven

Seamlessly divided into divisions encompassing ages ranging from U9 to adult. Beyond the realm of rivalry, this event nurtures a shared ardor for the beautiful game, while concurrently providing adults a chance to embrace an active and healthoriented lifestyle through soccer. Register online. whunitedacademy.com

OKTOBERFEST AT GROVE ROOTS BREWING

Oct 1, 2023, 12:00 PM - 7:00 PM

Grove Roots Brewing Company

302 3rd Street Southwest, Winter Haven

The brewery will transform into a German beer hall complete with live polka, schnitzels, brats, pretzels, hair braiding, a Stein hoisting competition, and LOTS of beer!

ACOUSTIC OPEN MIC NIGHT

Oct 2, 2023, 6:00 PM - 9:00 PM

Gram Parsons Derry Down

297 5th Street Northwest, Winter Haven

Musicians of all ages are invited to play in this historic venue, just come in and sign your name to perform up to 3 songs. For those of you who enjoy listening, please join us as well. There is no cost to attend. All Acoustic Open Mic Night happens the first Monday night each month at Gram Parsons Derry Down, hosted by Jay Hill. More info on FB @gramparsonsderrydown

DRAW WHAT YOU SEE: LEARNING HOW TO DRAW REALISTICALLY FOR BEGINNERS

Oct 3, 2023, 10:00 AM - 12:00 PM

Bok Tower Gardens

1151 Tower Boulevard, Lake Wales

In this 4-week workshop series, you will use the foundational Betty Edwards’ Drawing on the Right Side of the Brain process to learn and practice the five perception components necessary for realistic drawing. Art supplies included. Register in advance. boktowergardens.org

CAMEO WRITERS

Oct 3, 2023, 2:00 PM - 4:00 PM

Winter Haven Public Library

325 Avenue A Northwest, Winter Haven

First Tuesday of the month. Cameo Writers welcome writers of all abilities, genres, and experience. The group offers knowledgeable and appreciative support and encouragement. For inquiries please email Beverly Lerner at bevlerner@ aol.com.

TRIVIA TUESDAYS

Oct 3, 2023, 6:30 PM - 8:00 PM

Grove Roots Brewing Company

302 3rd Street Southwest, Winter Haven

Trivia every Tuesday. All trivia will be General Knowledge. Prizes are awarded to the Top 3 Teams and the first-place team each week gets to claim the Trophy of Awesome!

Teams may range between 1-8 players. All minors must be accompanied and actively supervised by a parent or guardian at all times.

B-I-N-G-O

Oct 3, 2023, 6:30 PM - 8:00 PM

The Joinery

640 East Main Street, Lakeland

First Tuesday of the month. No buy-in, loads of prizes & drink specials. thejoinerylkld.com

CHAIR YOGA

Oct 4, 2023, 10:00 AM - 11:00 AM

Bok Tower Gardens

1151 Tower Boulevard, Lake Wales

This class is appropriate for beginners, anyone with limited mobility, those recovering from injury, and anyone who has wanted to try yoga but felt intimidated. You can use a provided chair or your own chair, and wheelchairs are always welcome. Registration required. 863-734-1222 boktowergardens.org

FALL GARDENING: EDIBLE GARDEN TOUR

Oct 4, 2023, 10:30 AM - 11:30 AM

Bok Tower Gardens

1151 Tower Boulevard, Lake Wales

Join Horticulture Manager Taylor Walker for a tour of the edible gardens to learn about the techniques, materials, and varieties that grow in our Fall gardens. Registration required. boktowergardens.org

4 SQUARED MAKERS EXHIBITION OPENING

NIGHT

Oct 5, 2023, 5:00 PM - 7:00 PM

Mulberry Cultural Center

103 East Canal Street, Mulberry

“Celebrating Global Diversity” This is a small works art show recognizing our shared humanity. Exhibition is on view from Oct. 5 through Nov. 22. More info on FB @4squaredmakers.

OVER THE GARDEN WALL VIEWING PARTY

Oct 5, 2023, 6:00 PM - 8:00 PM

Bartow Public Library

2150 South Broadway Avenue

Viewing party of the mini-series “Over the Garden Wall” for teens and young adults. Bring a comfy cushion. Enjoy this 10-episode marathon with snacks and beverages provided. For teens & young adults

TRIVIA NIGHT

Oct 5, 2023, 7:00 PM - 9:00 PM

Barrel 239

239 3rd Street Southwest, Winter Haven

Every Thursday hosted by Triviosity. Signups begin at 6:30, questions start at 7. 10% off drinks while playing. Prizes for the top teams.

FLORIDA LECTURE SERIES: CLAY HENDERSON

Oct 5, 2023, 7:00 PM - 8:00 PM

Branscomb Memorial Auditorium

1100 Johnson Avenue, Lakeland

A New Smyrna Beach native and sixth-generation Floridian, Clay Henderson has had a long career as an environmental lawyer, educator, historian, and writer. His book Forces of Nature: A History of Florida Land Conservation tells the tale of Florida’s place at the beginning of the American conservation movement.All programs are free and open to the public.

MATILDA THE MUSICAL

Oct 5, 2023, 7:30 PM - 9:30 PM

Theatre Winter Haven

210 Cypress Gardens Blvd, Winter Haven

Various days from October 5 - 29th.

The story of an extraordinary girl who dares to take a stand and change her own destiny. Packed with high-energy dance numbers and catchy songs. theatrewinterhaven.com

EL RETIRO’S LANDSCAPE: A TOUR THROUGH TIME

Oct 6, 2023, 10:30 AM - 11:30 AM

Bok Tower Gardens

1151 Tower Boulevard, Lake Wales

Join Brendan Huggins, the Director of Horticulture, on a walking tour of the gardens at El Retiro. During this tour, participants can expect to learn about William Lyman Phillips’ original design intentions and how the property has grown and matured. Register online. boktowergardens.org

FIRST FRIDAY: COOKIE CARNIVAL

Oct 6, 2023, 6:00 PM - 9:00 PM

Downtown, Lakeland

At First Friday’s Cookie Carnival, Cookie Creators will be peddling their delicious wares in Munn Park. Stop by and pick up 1 or 2 or more cookies, as well as other delicious baked goods! Want to sample some cookies for free? Text FFCOOKIE to 855-298-5275 for a chance to be one of 50 lucky cookie judges. The first 50 walk-ups on the night of the event can also snag a Cookie Judge badge. Don’t miss the Makers Market, Food Trucks, and the Classy Car Show. lakelandgov.net

16TH ANNUAL OKTOBERFESTDOWNTOWN WINTER HAVEN

Oct 6, 2023, 6:00 PM - 9:00 PM

Downtown Winter Haven

400 W Central Ave, Winter Haven

Main Street Winter Haven’s 16th Annual Oktoberfest presented by Victor Smith Law Group will have over 40 Florida Craft, local and German beers! Buy a tasting ticket and sample as many of the beers as you’d like! Brass Heart Band will be performing polka and favorites. Tasting Ticket: $30 presale $40 at the event. centralfloridatix.com

HONK! JR.

Oct 6, 2023, 6:30 PM - 8:30 PM

Lakeland Community Theatre

121 S Lake Avenue, Lakeland

For young audiences. Ugly looks quite a bit different from his darling duckling brothers and sisters. The other animals on the farm are quick to notice and point this out, despite his mother’s protective flapping. lakelandcommunitytheatre.com

CONCERT UNDER THE STARS: RUNA

Oct 6, 2023, 7:00 PM - 9:00 PM

Bok Tower Gardens

1151 Tower Boulevard, Lake Wales

Celebrating 14 years together as a band, CelticAmerican Roots music “supergroup,” RUNA continues to push the boundaries of Irish folk music into the Americana and roots music formats. Purchase tickets in advance. boktowergardens.org

IMPROV COMEDY SHOW

Oct 6, 2023, 7:30 PM - 10:30 PM

Rec Room

ROD STEWART TRIBUTE

Oct 5, 2023, 6:30 PM - 9:30 PM

Balmoral Event Center

116 Kenny Boulevard, Haines City

Steve Bobbitt has performed throughout the US and on cruise ships throughout the world.

Doors open: 6:30pm, Show starts: 7:30. Be sure to come early to grab a drink and a bite before the show! centralfloridatix.com

SCAN TO ADD YOUR EVENT

202 N Massachusetts Ave, Lakeland Lakeland’s Best Improv Comedy Show.Two show times 7:30 PM is the Family Friendly Show and 9:30 PM is the 21+ Show. It is $10 per show or $15 for both. They are a 6-year-old team with the best improvisers in all of Polk County. Laugh with us! We know you want to! swancityimprov.com

LAKELAND DOWNTOWN FARMERS CURB MARKET

Oct 7, 2023, 8:00 AM - 2:00 PM

North Kentucky Avenue, Lakeland

Every Saturday in downtown Lakeland. Shop local, handmade, homegrown, plants, artisan gifts, pastries, breads, specialty foods, and more! Enjoy live entertainment most Saturdays. downtownfarmerscurbmarket.org -

49
CONTINUED ON PAGE 50 -

October 2023

WINTER

HAVEN FARMERS MARKET

FALL FEST

Oct 7, 2023, 9:00 AM - 1:00 PM

250 Magnolia Avenue, Winter Haven, 33880, United States

This is the regular market you love PLUS added fun for the Fall! Shop artisan food vendors, plants, food trucks, and more while supporting a healthy & connected community. We are across from Grove Roots on the NE corner of 3rd St. & Ave C SW in the old BB&T parking lot in downtown Winter Haven every Saturday. winterhavenfarmersmarket.com

TRAVELERS FLOWER PRESS BOOK

Oct 7, 2023, 9:00 AM - 12:00 PM

Bok Tower Gardens

1151 Tower Boulevard, Lake Wales

Make a compact-size flower press that will fit in your backpack or purse, and is perfect for pressing small flowers. There is no stitching in this basic bookmaking class, and all materials are provided. Register in advance. boktowergardens.org

YOGA IN THE GARDENS

Oct 7, 2023, 9:00 AM - 10:00 AM

Bok Tower Gardens

1151 Tower Boulevard, Lake Wales

Join us for a morning of bending, breathing, and relaxing in the great outdoors. This inclusive class includes gentle yoga movements that move our spine in all directions, breathing techniques, and extended relaxation infused with a sprinkling of yoga philosophy. All levels are welcome. Beginners are encouraged to attend. Price $12 members / $17 non-members, registration required. boktowergardens.org

BIRDING ON THE BOARDWALK

Oct 7, 2023, 10:00 AM - 12:00 PM

Bonnet Springs Park

400 Bonnet Springs Blvd, Lakeland

First Saturday of the month. BSP Staff and Volunteers will have binoculars and birding guides for guests to use while visitors explore the plants and animals that call Bonnet Springs Park their home! Join us at the Ann & Ward Edwards Boathouse for this fun opportunity. bonnetspringspark.com

BRICK-OR-TREAT (EVERY SATURDAY)

Oct 7, 2023, 10:00 AM - 8:00 PM

LEGOLAND® Florida Resort

1 Legoland Way, Winter Haven

Every Saturday in October. The party kicks off as Monsters take over LEGOLAND® and host the Halloween party of the year featuring: Live Entertainment & Shows; Limited-Time Attractions; Character Meet & Greets; ALL-NEW Fireworks Show; And of course, Trick-or-Treating! Purchase tickets online. legoland.com/florida

CURIOUS CREATURES: OWLS

Oct 7, 2023, 11:00 AM - 12:00 PM

Bartow Public Library

2150 S Broadway Ave, Bartow

Presentation about owls by the Raptor Center of Tampa Bay, Inc. Learn about these nocturnal raptors and meet a feathered ambassador from the Raptor Center of Tampa Bay! All ages welcome!

BIENVENIDO:

HISPANIC HERITAGE CELEBRATION!

Oct 7, 2023, 12:00 PM - 8:00 PM

Bonnet Springs Park

400 Bonnet Springs Blvd, Lakeland

Get ready to embrace Hispanic and Latino cultures’ vibrant colors, flavors, and rhythms!

This FREE family-friendly event is one you won’t want to miss. From an artisan market to dancing and a live DJ, special offers from The Depot and Rooftop Bar, food trucks, and so much more. Admission is free and the event is open to all ages!

Bidi Bidi Banda, a Selena tribute band from Austin, TX, will be taking the stage. bonnetspringspark.com

5TH ANNUAL CHARITY GALA BENEFITING THE BREAST CANCER RESEARCH FOUNDATION

Oct 7, 2023, 6:00 PM - 8:00 PM

Lakeland Country Club

929 Lake Hollingsworth Drive, Lakeland

This will be an elegant evening filled with fine dining, beverage service, music, dancing, and a silent auction. Guests can look forward to live music, an extravagant silent auction, gourmet dining, and an inspirational keynote address. This year’s event will feature special guest Hollie Kedro, a Flight Attendant who travels the world spreading the Aloha spirit. A native of Oahu, Hawaii, and a mother of two, Hollie was diagnosed with breast cancer in 2018. For more information, tickets, or to become a sponsor, please visit https://venuesalon. com/event/ or call 863.644.0102.

WHAT MUSIC THEY MAKE - STRING QUARTET

Oct 7, 2023, 7:00 PM - 9:00 PM

Historic Ritz Theatre

263 W Central Avenue, Winter Haven

Join us for a string quartet performance by members of the Lakeland Symphony Orchestra; featuring haunting pieces by Chopin, SaintSaens, Grieg & Mussorgsky just to name a few. Doors open at 6PM, show will begin at 7PM. Themed cocktails, wine selection, and craft beer available for purchase. We offer non-alcoholic beverage selections as well. “Listen to them, the children of the night. What music they make!” centralfloridatix.com

havenmagazines.com 50

BRICK-OR-TREAT (EVERY SUNDAY)

Oct 8, 2023, 10:00 AM - 8:00 PM

LEGOLAND® Florida Resort

1 Legoland Way, Winter Haven

Every Sunday in October. The party kicks off as Monsters take over LEGOLAND® and host the Halloween party of the year featuring: Live Entertainment & Shows; Limited-Time Attractions; Character Meet & Greets; ALL-NEW Fireworks Show; And of course, Trick-or-Treating! Purchase tickets online. legoland.com/florida

MORE EVENTS ONLINE

MONTHLY SACRED STILLNESS: MEDITATION + PRAYER

Oct 8, 2023, 3:00 PM - 4:00 PM

Ignite the Fire Inside Wellness Studio

140 SE Plaza Road, Winter Haven

Join us for a special afternoon meditation, prayer & sound bath to wrap up the year in community. This monthly Sacred Stillness experience is held the 2nd Sunday of each month to provide a safe space to reflect, meditate, pray + encourage one another. Feel free to invite a friend but do RSVP as space is limited. Email Lupita@ignitethefireinside.com for more information. centralfloridatix.com

ADD YOUR EVENT

TRIVIA TUESDAYS

Oct 10, 2023, 6:30 PM - 8:00 PM

Grove Roots Brewing Company

302 3rd Street SW, Winter Haven

Trivia every Tuesday. All trivia will be General Knowledge. Prizes are awarded to the Top 3 Teams and the first-place team each week gets to claim the Trophy of Awesome!

Teams may range between 1-8 players. All minors must be accompanied and actively supervised by a parent or guardian at all times.

TRIVIA NIGHT

Oct 10, 2023, 6:30 PM - 8:00 PM

The Joinery

640 East Main Street, Lakeland

Second Tuesday of the month. No buy-in, loads of prizes & drink specials. thejoinerylkld.com

MORNING BOOK CLUB

Oct 11, 2023, 10:00 AM - 11:00 AM

Winter Haven Public Library

325 Avenue A NW, Winter Haven

Meets on the 2nd Wednesday of the month.

October Book: “The Great Gatsby” by F. Scott Fitzgerald. More info at mywinterhaven.com

LAKELAND FOOD TRUCK RALLY

Oct 12, 2023, 6:00 PM - 9:00 PM

Munn Park

210 East Main Street, Lakeland

Second Thursday of every month. Family-friendly food truck rally. More info on FB @LakelandFoodTruckRally.

KENNY ROGERS TRIBUTE & DINNER SHOW

Oct 12, 2023, 6:00 PM - 9:30 PM

Balmoral Event Center

116 Kenny Boulevard, Haines City

Come and enjoy a night of delicious food and fantastic entertainment. Tim Sells as Kenny Rogers, voted #1 in the country by fans all over the country. Doors Open at 6pm. Purchase tickets at centralfloridatix.com

51
- CONTINUED ON PAGE 53 -
Pumpkin Spice Butterscotch Bourbon White Chocolate Pretzel Mon-Sat: 7am-5pm Sun: Closed 863-251-9619 havencoffeeroaster.com 140 3rd St SW, Winter Haven
FALL FLAVORS ARE HERE

MOONLIGHT

havenmagazines.com 52 Comm.Unity
LOVE Presents

October 2023 MORE EVENTS ONLINE

TRIVIA NIGHT

Oct 12, 2023, 7:00 PM - 9:00 PM

Barrel 239

239 3rd Street SW, Winter Haven

Every Thursday. Hosted by Triviosity. Signups begin at 6:30pm, questions at 7pm.

Club, but feel free to bring your own if you have it. We’ll provide instruction and get you started if you haven’t played before. It’s a very simple game to get the hang of, no athletic skills needed! Shuffleboard is a great sport for people of all abilities (suggested age 10 and up). Closedtoe shoes required. Snacks will be available for purchase on-site. centralfloridatix.com

FRIDAY THE FUR-TEENTH PET PARADE

Oct 13, 2023, 7:00 PM - 9:00 PM

Bonnet Springs Park

400 Bonnet Springs Blvd, Lakeland

Bring your furry friends for a pet parade, costume contests, spooky drink specials, and pet-centric vendors! The parade will kick off at 7:30PM, and costume contest entries will be accepted from 6:45 - 7:30PM. Both activities are free of charge! *Please remember that for the safety of all attendees, pets must remain on a leash throughout the event. bonnetspringspark.com

SPOOKY SEASON IN FLORIDA: BATS! (WEBINAR)

Oct 13, 2023, 7:00 PM - 8:00 PM

TRIBUTE TO THE ED SULLIVAN SHOW

Oct 13, 2023, 7:00 PM - 10:00 PM

Lions Club Park

175 N Nekoma Ave, Lake Alfred

POLK STATE FALL FEST

Oct 14, 2023, 9:00 AM - 3:00 PM

Polk State College

999 Avenue H NE, Winter Haven

Family-friendly event with art, activities, a car show, food, music, crafts, and so much fun! polk. edu/fallfest

THE MONSTER SQUAD : MONSTER MASH COSTUME SCREENING

Oct 12, 2023, 7:00 PM - 9:00 PM

Historic Ritz Theatre

263 W Central Ave, Winter Haven

We invite you to dress like the monster you love or perhaps the one you always wanted to be? For this screening of Monster Squad! Enjoy themed mocktails, cocktails, wax fangs and popcorn with us. Monster Mash starts at 6 & the film begins at 7pm. When you get to our door tell them Boris sent you. “Monster Squad” is a cult classic horrorcomedy film released in 1987. centralfloridatix.com

MUSICAL HAMMERS

Oct 13, 2023, 1:30 PM - 3:00 PM

Winter Haven Public Library

325 Avenue A NW, Winter Haven

Musical Hammers’ free concerts are at the Winter Haven Public Library Multi-Purpose Room. The concerts are both educational and entertaining and open to the public.

Musical Hammers is a Polk County Hammered Dulcimer Band.

Join UF IFAS Extension Faculty, Shannon Carnevale, to learn all about co-existing with our only flying mammal - bats! Participants will learn: Common myths about bats, Basic bat biology and behavior, and Conservation of Florida bats. Register: eventbrite.com/ e/691685378587/?aff=facebook

This musical tribute will include music and impressions from the likes of Fats Domino, The Big Bopper, Buddy Holly, The Blues Brothers, and Ed Sullivan! Food, snacks, and non-alcoholic beverages are available for purchase. 50/50 drawing by the Lake Alfred Lions Club.

CAFFEINE & GASOLINE

Oct 14, 2023, 8:00 AM - 10:00 AM

Bonnet Springs Park

400 Bonnet Springs Blvd, Lakeland

Calling all car fanatics! Roll into Bonnet Springs Park on the second Saturday of every month. All exotic, classic, luxury, hot rod, and import cars are welcome! Coffee and breakfast items will be available for purchase. If you would like to show off your ride, no registration is required.

LAKELAND DOWNTOWN FARMERS CURB MARKET

Oct 14, 2023, 8:00 AM - 2:00 PM

N Kentucky Ave, Lakeland

Every Saturday in downtown Lakeland. Shop local, handmade, homegrown, plants, artisan gifts, pastries, breads, specialty foods, and more! Enjoy live entertainment most Saturdays. downtownfarmerscurbmarket.org

WINGS ‘N WAFFLES

Oct 14, 2023, 9:00 AM - 10:00 AM

Florida Air Museum

4175 Medulla Road, Lakeland

SUPERSTITION: EXHIBITION, ART PARTY, DARK MARKET/ODDITIES

Oct 13, 2023, 7:00 PM - 11:11 PM

ART/ifact

820 N Massachusetts Ave, Lakeland

$13 Admission (includes 2 drink tickets). All Ages. Are you afraid of Friday the 13th? Does it instill a fear, curiosity, or challenge? Do you knock on wood for luck or avoid anything with the number 13? Would you cross the path of a black cat or walk under a ladder?

Join seven lucky artists on one unlucky night for an in-depth exploration of superstitions, their origins, and curiosities! Purchase tickets at centralfloridatix.com

On the second Saturday of each month. Enjoy breakfast (chicken and waffles, thus the event name) and hear from aviation professionals, veterans, pilots and more. Members of the Florida Air Museum receive FREE admission to this event. Non-member cost is $10.00 per person at the door, which includes a day pass to tour the Museum when the event is over. aceedu.org

WINTER HAVEN FARMERS MARKET

Oct 14, 2023, 9:00 AM - 1:00 PM

250 Magnolia Ave, Winter Haven

COUNTRY WESTERN MUSIC & CAR SHOW

Oct 14, 2023, 10:00 AM - 10:00 PM

Balmoral Bar & Grill

124 Kenny Blvd, Haines City

Rev up your engines and dust off your boots because the Country Western Music & Car Show is rolling into town! Get ready to experience a toe-tappin’, gear-shiftin’, and heart-revvin’ night of country music and classic cars that’ll make you Blow the Whistle! Free Entry. Musical Acts: Joey Foley & Chasin Jason.

FALL WINE WALK

Oct 14, 2023, 2:00 PM - 5:00 PM

Bok Tower Gardens

1151 Tower Blvd, Lake Wales

Sip, sample, and stroll through the Gardens while sampling 12 wines from the best wine regions in the world. Your ticket includes wine samples, nibbles at each stop, and a souvenir-tasting cup. Stay for the After Party on The Terrace with live music from 5:00 p.m. to 7:00 p.m. The Blue Palmetto Cafe will be open for dinner with the full menu. Purchase tickets in advance. boktowergardens.org

FALL FEST AT GRB

Oct 14, 2023, 5:00 PM - 9:00 PM

Grove Roots Brewing Company

302 3rd Street SW, Winter Haven

Family-friendly Fall Fest! Complete with a Pumpkin Patch, sweets, fall beer releases, a cider station, live music & delicious food!

Fall Fest kicks off the Food Drive. Bring in any (nonexpired) non-perishable food item.

LKLD SHUFFLE

Oct 13, 2023, 6:00 PM - 8:00 PM

Lakeland Shuffleboard Club

820 E Robson Street, Lakeland

All equipment will be provided by the Shuffleboard

Shop artisan food vendors, plants, food trucks, and more while supporting a healthy & connected community. We are across from Grove Roots on the NE corner of 3rd St. & Ave C SW in the old BB&T parking lot in downtown Winter Haven every Saturday. winterhavenfarmersmarket.com

53
-
ON PAGE 54 -
CONTINUED

October 2023

TRIBUTE TUESDAY: JIMMY BUFFETT

Oct 17, 2023, 5:00 PM & 8:00 PM

Theatre Winter Haven

210 Cypress Gardens Blvd, Winter Haven

A musical tribute to Jimmy Buffett with Bill Cockrell. theatrewinterhaven.com

honorees. 6pm - Social Hour; 7pm - Dinner; 7:30pm - Ceremony Begins. To find more info about the Polk Arts & Culture Hall of Fame Gala visit polkarts.org. Purchase tickets at centralfloridatix.com

TRIVIA TUESDAYS

Oct 17, 2023, 6:30 PM - 8:00 PM

Grove Roots Brewing Company

302 3rd Street SW, Winter Haven

All trivia will be General Knowledge. Prizes are awarded to the Top 3 Teams and the first-place team each week gets to claim the Trophy of Awesome! Teams may range between 1-8 players. All minors must be accompanied and actively supervised by a parent or guardian at all times.

MONARCH MIGRATION MIRACLE

CHAIR YOGA

Oct 18, 2023, 10:00 AM - 11:00 AM

Bok Tower Garden

1151 Tower Blvd, Lake Wales

The classes are designed to quiet the mind, move your body, breathe deeply, and practice mindfulness. This class is appropriate for beginners, anyone with limited mobility, those recovering from injury, and anyone who has wanted to try yoga but felt intimidated. You can use a provided chair or your own chair, and wheelchairs are always welcome. Registration required. 863-734-1222 boktowergardens.org

THE HUMANS

Oct 18 & 19, 2023

Lakeland Community Theatre

121 S Lake Avenue, Lakeland

SMOKIN’ THE BOSTON/RENEGADE STYX TRIBUTE - RESCHEDULE

Oct 14, 2023, 7:00 PM - 9:00 PM

Historic Ritz Theatre

263 W Central Ave, Winter Haven

Smokin’ has Boston’s massive soaring vocals, amazing harmonies, layered signature guitar sound, dynamic keyboard effects, and plays all the classic hits to the tee! Then watch as Smokin’ transforms into Renegade, and authentically recreate the music of Styx.

Doors open at 6 PM. Show starts at 7 PM. Enjoy specialty drinks, cocktails, beer, wine, and light snacks for sale at The Ritz Lounge before and during the concert. Purchase tickets at centralfloridatix.com

2023 POLK ARTS & CULTURE HALL OF FAME

GALA

Oct 17, 2023, 6:00 PM - 9:00 PM

Bonnet Springs Park

400 Bonnet Springs Blvd, Lakeland

The 2023 Polk Arts & Culture Hall of Fame will honor the 2023 Polk County Arts Hall of Fame

Oct 18, 2023, 10:00 AM - 11:00 AM

Bok Tower Gardens

1151 Tower Boulevard, Lake Wales

Join Elaine Berner as she presents the Monarch Migration Miracle. Fall is when the eastern Monarch population migrates from as far north as Canada to the overwintering sites in Mexico. With over four decades of studying the Monarch and two trips to Mexico to visit the overwintering sites, Elaine will present an up-close view of this awe-filled experience. Registration required. boktowergardens.org

Rated M. The Humans tells the story of the quintessential family reunion: a group of people who love each other but still wrestle with basic human fears: old age, abandonment, poverty, and death. Filled with equal parts humor and hurt, The Humans is a Tony-award winning play from popular playwright Stephen Karam (Speech and Debate). lakelandcommunitytheatre.com

havenmagazines.com 54
MARKET TO GRILL AS FRESH AS IT GETS LOCALLY SOURCED FRESH & FROZEN SEAFOOD VEGETABLES | SPICES | SAUCES | WINE & BEER www.zocalofishmarket.com | 308 US Hwy 17-92 N, Haines City | Grill: 10am-8:30pm (863) 547-8003 | Market: 8am-6:30pm (863) 353-2220

POLK @ NITE - ART AND COCKTAILS

Oct 19, 2023, 5:00 PM - 8:00 PM

Polk Museum of Art

800 E Palmetto St, Lakeland

A captivating evening of art, food and drinks at the Polk Museum of Art! Receive exclusive access to Remembering Vilna: The Holocaust and the Art of Samuel Bak and Timeless Origins: The Art of Reynier Llanes. Entertainment by DJ Jenks, Complimentary small bites and craft cocktail from Cob & Pen, cash bar available after free drink redemption. centralfloridatix.com

“UNRAVELING HOMELESSNESS”

FUNDRAISING BANQUET

Oct 19, 2023, 5:30 PM - 7:00 PM

RP Funding Center

701 West Lime Street, Lakeland

The keynote speaker this year is Rev. David McEntire, recently retired senior pastor of First United Methodist Church of Lakeland. Musical entertainment will be provided by singer, songwriter, and musician Geri Blount. Stacy Campbell-Domineck, President and CEO of CareerSource Polk, will serve as emcee. The evening will also include inspirational client testimonials and a silent auction. The auction will be available in advance to the public at https:// secure.qgiv.com/event/itsnotover/. Guests should attend the banquet with an understanding that an invitation will be presented to financially support the mission. Preregistration is required. talbothouse.org

TRIVIA NIGHT

Oct 19, 2023, 7:00 PM - 9:00 PM

Barrel 239

239 3rd Street SW, Winter Haven

Every Thursday, hosted by Triviosity. Signups begin at 6:30pm, questions at 7pm.

ADD YOUR EVENT

UAW MID FLORIDA RETIREE COUNCIL

Oct 20, 2023, 10:00 AM - 11:00 AM

Knights of Columbus 1500/4726

3308 Avenue W NW, Winter Haven

EVIL DEAD 2 : COCKTAILS AND CLASSICS

FEATURING BESPOKE CRAFT COCKTAILS

Oct 19, 2023, 7:00 PM - 9:00 PM

Historic Ritz Theatre

263 W Central Ave, Winter Haven

“Evil Dead 2” is a horror-comedy film released in 1987, directed by Sam Raimi. “Evil Dead 2” is known for its over-the-top gore, dark humor, and innovative camera techniques, showcasing Raimi’s unique directorial style. Join us for a  celebration of the films you love and discover new favorites at The Historic Ritz Theatre on Thursday evenings this fall. Each film is paired with a specialty cocktail in addition to freshly popped popcorn, candy and craft soda. Doors open at 6pm & the show starts at 7. centralfloridatix.com

For our October meeting we will have a representative from the UAW Trust as a guest speaker, who will bring us up to date on our 2024 healthcare benefits. Also in attendance will be vendors from Blue Cross and United Healthcare. If you have any problems with some claims, you can bring the paperwork to the meeting and speak with the healthcare representatives. Our monthly meetings are held on the third Friday of every month. We encourage members to come early for some coffee and donuts and to socialize with fellow members. Anyone wishing to wear a mask for safety reasons may do so. The UAW Mid Florida Retiree Council’s drop-in center in Winter Haven is open every Tuesday and Thursday from 9:00 a.m. until 1:00 p.m. The office is located in the Hope Plaza strip mall (off Hwy 17 by the WAWA and across the street from Big Lots). Call (863) 293-5556 or drop by with any problems with your benefits. Please pass this info along to any UAW retired members you know who may not get this publication.

- CONTINUED ON PAGE 57 -

55

WHY SHOPPING LOCAL MATTERS

By shopping locally, you are directly contributing to your local community. Your money is going straight into your city – helping it to thrive.

havenmagazines.com 56
Island DreamingBoutique

October 2023 MORE EVENTS ONLINE

BSP BIRTHDAY BASH

Oct 21, 2023, 9:00 AM - 9:00 PM

Bonnet Springs Park

400 Bonnet Springs Blvd, Lakeland

Celebrate One Year! This FREE fun-filled day will be full of family-friendly activities like strolling performers, a petting zoo, a car show, live music, Lounge on the Lawn, and so much more. The excitement doesn’t end there, they’re bringing you a movie under the stars, and fireworks to end the day of celebration! bonnetspringspark.com

WINTER HAVEN FARMERS MARKET

Oct 21, 2023, 9:00 AM - 1:00 PM

250 Magnolia Ave, Winter Haven

range from building a wing rib to exploring flight through simulation, to constructing and testing your own balsa wood glider! Food trucks on site, too. aceedu.org

HANDS-ON HAVEN: TRUCKS, TECH, & TAILS

Oct 21, 2023, 10:00 AM - 1:00 PM

Central Park

4th Street NW, Winter Haven

“MORE MOVIE MAGIC”

Oct. 22, 2023, 2 PM

Polk State College

999 Avenue H NE, Winter Haven

Listen to live music presented and performed by the Chain O’ Lakes Big Band. $10. Email: boxoffice@polk.edu. 863-297-1050`

BACKPACKING 101: INTRODUCTION TO THE HOBBY OF BACKPACKING

TEACHER’S EARLY RELEASE DAYS SOUND

BATH

Oct 20, 2023, 5:00 PM - 6:00 PM

Ignite the Fire Inside Wellness Studio

140 SE Plaza Road, Winter Haven

Teachers, we know Early Release Days are a time to catch up & also prep for the coming weeks. But first, let’s hit the pause button. Our ‘Teacher’s Early Release Days Sound Bath’ is your sanctuary. Immerse yourself in soothing sounds and emerge refreshed, ready to inspire. Choose the dates that are best for you. Do RSVP as space is limited. Email Lupita@ignitethefireinside.com for more information. centralfloridatix.com

HAUNTED JAIL TOUR 2023 “RESURRECTED”

Oct 20, 2023, 6:30 PM - 10:30 PM

455 N Broadway Ave, Bartow

Fri & Sat, Oct. 20 & 21, and Fri & Sat, Oct. 27 & 28. For a $15 donation per adult (or $5 for kids under 10). There will be agency members on hand to watch the little ones whose parents want to tour but maybe don’t want their children tagging along. They will also have a bounce house, a “dunk your deputy” dunk tank, and food trucks - fun for the entire family! Proceeds benefit the United Way of Central Florida. Tickets are sold in person only. Cash and credit will be accepted. https://tinyurl. com/359vsb4y

CONCERT UNDER THE STARS: THE LUBBEN BROTHERS

Oct 20, 2023, 7:00 PM - 9:00 PM

Bok Tower Gardens

1151 Tower Blvd, Lake Wales

Triplets and high-energy acoustic musicians from the farmlands of Iowa, The Lubben Brothers specialize in tight vocal harmonies and an eclectic blend of folk instruments involving banjo, mandolin, tin whistle, accordion, hammered dulcimer, and fiddle. Purchase tickets in advance. boktowergardens.org

LAKELAND DOWNTOWN FARMERS CURB MARKET

Oct 21, 2023, 8:00 AM - 2:00 PM

N Kentucky Avenue, Lakeland

Every Saturday in downtown Lakeland. Shop local, handmade, homegrown, plants, artisan gifts, pastries, breads, specialty foods, and more! Enjoy live entertainment most Saturdays. downtownfarmerscurbmarket.org

Shop artisan food vendors, plants, food trucks, and more while supporting a healthy & connected community. We are across from Grove Roots on the NE corner of 3rd St. & Ave C SW in the old BB&T parking lot in downtown Winter Haven every Saturday. winterhavenfarmersmarket.com

YOGA IN THE GARDENS

Oct 21, 2023, 9:00 AM - 10:00 AM

Bok Tower Gardens

1151 Tower Blvd, Lake Wales

This inclusive class includes gentle yoga movements that move our spine in all directions, breathing techniques, and extended relaxation infused with a sprinkling of yoga philosophy. All levels are welcome. Beginners are encouraged to attend. Price $12 members / $17 non-members, registration required. boktowergardens.org

COMMUNITY CRAFT AND BAKE SALE

Oct 21, 2023, 9:00 AM - 2:00 PM

Cypress Creek Village

117 Monterey Cypress Blvd, Winter Haven Community Craft and Bake Sale. We will be having multiple tables displaying various crafts from our talented residents. Crafts will include stained glass, wooden shelves and other projects, misc. sewing and crochet items, wall hangings, quilted items, etc.

The bake sale will feature some of the tastiest treats from pies, cakes, cookies, fudge, etc. Please come out to join us! Look forward to meeting you all.

PLANT AND GARDEN FESTIVAL

Oct 21, 2023, 9:00 AM - 5:00 PM

275 East Park Avenue, Lake Wales

Hosted by the GFWC Woman’s Club of Lake Wales. We are very excited to have plant vendors from around Polk County and beyond. A program of guest speakers from Bok Tower Gardens, a Master Gardener from Winter Haven, a guest speaker who will introduce organic gardening, and a list of guest presenters who will cover informative subjects each hour. Many vendors with yard/ garden related items will be on the grounds as well.

More info on FB @thegfwcwomanscluboflakewalesinc

WINGS ‘N THINGS

Oct 21, 2023, 10:00 AM - 2:00 PM

SUN ‘n FUN Expo Campus

4075 James C. Ray Drive, Lakeland

This annual event is a “must-do” for family members of all ages. Experience the wonders of aerospace through lots of hands-on activities that

An interactive community event hosted by the City of Winter Haven. This family-friendly event will be held at Central Park, Virginia Miller Park, and the Library, offering a unique blend of entertainment, education, and career opportunities. The families will love the Touch-a-Truck area, Technology Petting Zoo, a K9 demonstration, a job fair, and more. mywinterhaven.com

EATING YOUR GREENS

Oct 21, 2023, 10:30 AM - 12:00 PM

Bok Tower Garden

1151 Tower Blvd, Lake Wales

Learn how to grow your own food. This class will take you through the steps of growing, maintaining, harvesting, then preparing and serving greens from your own backyard. Registration required. boktowergardens.org

WE LET THE DOGS OUT

Oct 21, 2023, 11:00 AM - 3:00 PM

The Joinery

640 E Main Street, Lakeland

Fun for you and your pups! Lots of vendors, games, treats + more – even a costume contest for your four-legged furry buddy! The SPCA will have adoptable pups on site who are ready to have a fun time with YOU! thejoinerylkld.com

TWITCH FLORIDA WEEKEND BASH

Oct 21, 2023, 3:00 PM - 4:00 PM

The Serendipity Space

545 Orange Blvd, Polk City

Join the DJ Tag Stream from Twitch.tv as we party with our mods and viewers! Join us! Food Truck day party 3p til 10p; Sun BBQ day party 12p til 4p.$60 pre pay via Cash App $gclefproductions or Venmo G-Clef CALL 407375-2733 prior to purchase with any questions.

SLOW ROLL & SKI SHOW

Oct. 21, 2023, 4:30 PM

The Bike Shop of Winter Haven

249 3rd St. SW, Winter Haven

Slow Roll is a free community event. Get your bikes and meet at the Bike Shop where we “slow roll” through town to Lake Silver where we watch the Cypress Gardens Water Ski Show. After the show, we roll back through town and hang out at Grove Roots. Sign up on Facebook @slowrollskishow

FREE CYPRESS GARDENS WATER SKI SHOW

Oct 21, 2023, 5:00 PM - 6:30 PM

Martin Luther King Jr Park

199 Lake Silver Drive, Winter Haven

On the 3rd Saturday of every month. Watch the world-famous Cypress Gardens Water Ski Team perform a free show on Lake Silver. Bring a chair or blanket to sit on, cash for the 50/50 raffle. Concessions available for purchase.

FB @CypressGardensWaterSkiTeam

Oct 24, 2023, 5:30 PM - 7:30 PM

1702 S Holland Parkway, Bartow

Join UF/IFAS Extension Natural Resources and Conservation faculty, Shannon Carnevale, for a two-evening workshop on backpacking skills. This two-day classroom workshop (Tuesday and Thursday evenings from 5:30 - 7:30 PM) will teach participants all about the basic skills required to go backpacking in Florida’s backcountry. This workshop takes place on Tuesday, Oct. 24 and Thursday, Oct. 26 . Registration includes BOTH sessions and attendance is expected at both sessions.To register and for info: https:// polkbackpackingclassOCTOBER.eventbrite.com

TRIVIA TUESDAYS

Oct 24, 2023, 6:30 PM - 8:00 PM

Grove Roots Brewing Company

302 3rd Street SW, Winter Haven

Trivia every Tuesday. All trivia will be General Knowledge. Prizes are awarded to the Top 3 Teams and the first-place team each week gets to claim the Trophy of Awesome! Teams may range between 1-8 players. All minors must be accompanied and actively supervised by a parent or guardian at all times.

ASK AN ORNITHOLOGIST

Oct 25, 2023, 11:00 AM - 12:00 PM

Bok Tower Gardens

1151 Tower Blvd, Lake Wales

Sahas Barve is an ornithologist and will be able to answer all your burning questions about birds in an “ask-me-anything” format. You will have the opportunity to send your questions when you register. They will pool the questions to decide which ones would benefit most folks and hence Sahas will prioritize answering. Register in advance. boktowergardens.org

TRIVIA NIGHT

Oct 26, 2023, 7:00 PM - 9:00 PM

Barrel 239

239 3rd Street Southwest, Winter Haven

Every Thursday. Hosted by Triviosity. Signups begin at 6:30pm, questions at 7pm.

WONDERLAND: A SPECIAL HALLOWEEN EVENT

Oct 26 - 29, 2023

Theatre Winter Haven

210 Cypress Gardens Blvd, Winter Haven

Performed in the Norman & Linda Small Second Stage. Experience Alice’s Adventures in Wonderland from a whole new perspective. In this exciting re-imagining of Lewis Carols’ classic work, join Alice as she goes down the rabbit hole on a thrilling journey of self-realization through Wonderland, and answers the age-old question, “Is this real, or are we all mad here?” theatrewinterhaven.com

57
- CONTINUED ON PAGE 59 -
havenmagazines.com 58 Fall withSavings in Love 30% off with AARP 30% off for Military Veterans & Active-Duty 30% off multiple purchase for 3rd pair and up 20% off all non-Rx Sunglasses Come see us. New patients are welcome! 407 Ave K, SE | Winter Haven, FL 33880 800.282.EYES(3937) • EyesFL.com • FB.com/EyesFL *Promos cannot be used with insurance or any other discounts on the same pair of glasses. Excluding non-Rx sunglasses, all discounts must be a complete pair. Complete pair contains Rx lenses and frame. Offer valid September 16 – November 4, 2023. 2nd pair with any complete eyewear purchase BOGO 40% off OCTOBER SPECIAL 10% OFF VERTICAL BLINDS* ASK THE EXPERTS! 863.325.8898 Stina’s AAA Vertical Blind Factory | 785 Cypress Gardens Blvd. | stinasblinds.com *Must present coupon at the time of estimate. Not valid with any other offer. 1616 Sixth St SE, Winter Haven groomingdeals.com | (863) 294-PUPS(7877) Deals, Inc. Grooming PET GROOMER Family Owned & Operated • Owner/Groomer : Angie Todd • 12 Years of Service INTEREST RATES MAY RISE, FALL OR STAY THE SAME. Choosing the appropriate investments to provide reliable income calls for expertise. Contact me to learn about strategies that seek to assist you in achieving your income goals whether rates rise, fall or stay the same. Brad Dantzler, AAMS® Managing Director Senior Vice President, Investments 141 5th Street NW, Suite 100 || Winter Haven, FL 33881 863.298.9569 || 866.309.7515 brad.dantzler@raymondjames.com || www.braddantzler.com Investing involves risk and you may incur a profit or a loss. © 2023 Raymond James & Associates, Inc., member New York Stock Exchange/SIPC. 22-MFI Retail -0173 TA 7/22

October 2023

GHOSTLY GALA

Oct 27, 2023, 6:00 PM - 8:00 PM

Eloise Resource Center

710 Snively Avenue, Eloise

Find your favorite (not too spooky) friend and join Polk County Parks & Recreation’s Ghostly Gala! Fun Halloween games, creation stations, and lots of prizes and giveaways for families. Kids will have the chance to show off their favorite Halloween costume at our 7p.m. costume contest. Admission is free! More info on FB @PolkCoFLParksAndRec.

ADD YOUR EVENT

PINEAPPLE CARVING + COCKTAILS

Oct 27, 2023, 8:00 PM - 9:30 PM

The Joinery

640 E Main Street, Lakeland

Happy Hula-ween! Try a tropical twist on this season’s traditional pumpkin carving: pineapple carving with your boo! $45 per person. Price includes a pineapple + 2 drinks + all the tools you’ll need for the job! thejoinerylkld.com

TRUNK OR TREAT

Oct 28, 2023, 8:30 AM - 11:00 AM

Lake Eva Community Park

555 Ledwith Avenue, Haines City

Wear your Halloween costume & trick or treat! In addition to trick or treating, kids can check out all kinds of vehicles, including construction equipment, emergency vehicles, public transportation vehicles, tow trucks, & much more. Event by the Haines City Parks & Recreation.

WINTER HAVEN FARMERS MARKET

Oct 28, 2023, 9:00 AM - 1:00 PM

250 Magnolia Avenue, Winter Haven

Shop artisan food vendors, plants, food trucks, and more while supporting a healthy & connected community. We are across from Grove Roots on the NE corner of 3rd St. & Ave C SW in the old BB&T parking lot in downtown Winter Haven every Saturday. winterhavenfarmersmarket.com

AFTER MIDNIGHT : SPOTLIGHT ON LOCAL FILM

Oct 26, 2023, 7:00 PM - 9:00 PM

Historic Ritz Theatre

263 W Central Avenue, Winter Haven

Shot in Florida, with scenes filmed in our very own Winter Haven…..After Midnight is a local theatre’s dream come true ( not to mention your friendly horror loving film programmers dream.)

Writer/co- director/star Jeremy Gardner lives and works in Winter Haven and will join us for a Q&A with his directing partner & Christian Stella afterwards. “Perhaps, ourfilm program hasn’t been up and running for very long, but I maintain that you should trust us on this one. We know a special horror film when we see one. Not only will you enjoy the movie, you will be ensuring its future in our community as this is a fundraiser for The Historic Ritz Theatre.” - Ritz Theatre. “Part creature feature, part romance, After Midnight somehow manages to combine its disparate ingredients and come up with something special.”Critics Consensus, Rotten Tomatoes….90% Fresh. Specialty cocktails, freshly popped popcorn, candy and craft soda available for purchase. Doors open at 6pm & the show starts at 7. centralfloridatix. com

HALLOWEEN BASH: GALACTIC INVASION

Oct 27, 2023, 5:00 PM - 7:00 PM

Lakeside Village

1479 Town Center Drive, Lakeland

Trick or Treat Trail: Explore stores and restaurants with friendly extraterrestrial creatures giving out tasty surprises. Dress up in cosmic costumes to join the fun! Dance under the stars to DJ Clef’s out-of-this-world beats from distant galaxies and participate fun games. Plus Stilt Walkers, Hula Artist Performance, and Cosmic Photo Op. Free admission.

6TH ANNUAL PINK RIBBON GALA

Oct 27, 2023, 6:00 PM - 8:00 PM

Bonnet Springs Park

400 Bonnet Springs Blvd, Lakeland

The Breast Cancer Foundation of Central Florida Pink Ribbon Gala presented by Watson Clinic will offer a night of cocktails, dinner, dancing, silent and live auctions, and more. Together we can help breast cancer patients and their families as they face situational poverty, stemming from a breast cancer diagnosis. bcfcf.org/pink-ribbon-gala

FRANKIE VALLI TRIBUTE & DINNER SHOW

Oct 27, 2023, 6:00 PM - 9:30 PM

Balmoral Event Center

116 Kenny Blvd, Haines City

Come enjoy a night of your favorite music and delicious food.Doors Open at 6pm. centralfloridatix.com

THE MISSING PIECE THEATRE PRESENTS

- BASKERVILLE: A SHERLOCK HOLMES MYSTERY

Oct 27, 2023, 8:00 PM - 10:00 PM

Gem Theater

110 NW 1st Avenue, Mulberry

Get your detective cap on — the play’s afoot! Comedic genius Ken Ludwig transforms Arthur Conan Doyle’s classic The Hound of the Baskervilles into a murderously funny adventure. Sherlock Holmes is on the case. The male heirs of the Baskerville line are being dispatched one by one. To find their ingenious killer, Holmes and Watson must brave the desolate moors before a family curse dooms its newest heir. centralfloridatix.com

2023 RED RIBBON RUN

Oct 28, 2023, 7:00 AM - 4:00 PM

Lake Mirror Auditorium, Lakeland

47TH ANNUAL PIONEER DAYS FESTIVAL

Oct 28 & 29, 2023, 9:00 AM - 5:00 PM

Lake Wailes Park

499 E Park Ave, Lake Wales

This free community festival features a heritage village that includes dozens of historical demonstrations of pioneer camps and early American trades. The public is welcome to experience, learn, share and buy hand-crafted goods from these vendors along with more than 60 craft market vendors. lakewaleshistory.org

POOCH-O-WEEN: PET PARADE AND COSTUME CONTEST

Oct 28, 2023, 11:00 AM - 2:00 PM

Lakeside Village

1479 Town Center Drive, Lakeland

Parade and Costume Contest Entry Fee is $10 per pet ($7 each if you have two or more pets). Cash only! General admission is FREE. Groove to the beats from Graingertainment, enjoy the company of fellow pet lovers, and explore exciting vendors throughout the event. And guess what?

SPCA Florida will be here to share their wonderful initiatives, and Woof Gang Bakery & Grooming will have delicious treats for purchase, so your furry companions can indulge their taste buds.

FALL NIGHT MARKET

U.S. BEE GEE’S TRIBUTE CONCERT

Oct 27, 2023, 7:00 PM - 9:00 PM

Historic Ritz Theatre

263 W Central Avenue, Winter Haven

THE U.S. BEE GEES are the ultimate salute to the Bee Gees in their prime! They recreate the look, feel and sound of the Bee Gees capturing the unique falsettos that make them one of the world’s greatest bands. Performing a full history of the BEE GEES including early hits. centralfloridatix.com

Kids Fun Run for K-8 students, along with the Family Fun Run in which parents/adults may run with their children. New this year will be a World Tour area with healthy snacks and activities highlighting different cultures around the globe. Registration is free for students in grades K-8 who pre-register before October 28. There will be a $5 fee to register on race day. Parents may pay a $5 fee to run with their child in the Family Fun Run. To register, please visit InnerActAlliance.org and click on the Red Ribbon Run tab.

SUN ‘N FUN PUMPKIN DASH 5K

Oct 28, 2023, 7:00 AM - 11:00 AM

SUN ‘n FUN Expo Campus

4075 James C. Ray Drive, Lakeland

A family-friendly Halloween-themed 5K across the SUN ‘n FUN Expo Campus. Costumes encouraged. Post-Race Dance Party with food & drink available from food trucks after the race at the finish line. Prizes are given to the top 3 finishers in each age group division. T-Shirt and swag for each runner. Register at flysnf.org.

Oct 28, 2023, 5:00 PM - 9:00 PM

N Kentucky Ave, Downtown, Lakeland

Join the City of Lakeland for an evening under the full moon for shopping, dining and live music in Downtown Lakeland. Retail shops will be open late, and Kentucky Ave will be filled with food, artisan vendors, crafters, live music and more! Feel free to bring the whole family and come dressed in your Halloween gear, but this is NOT a trick-ortreat or carnival type of event.

TROT OR TREAT

Oct 28, 2023, 5:00 PM - 8:00 PM

Hope Equine Rescue

3805 High Street NE, Winter Haven

Celebrate Halloween with the horses! The stalls, and even some of the horses, will be decorated. You can vote on your favorite by making a donation. The volunteer who raises the most money wins a belt buckle, and you help feed the horses. There will be TONS of candy and a photo booth, too! Must purchase tickets in advance. aplos.com/aws/events/trot_or_treat_2023

- CONTINUED ON PAGE 61 -

59
From October 1, 2023, to October 31, 2023, your purchase of a pink sticker Sunmed™ product will result in a $1 donation to NBCF. Look for the pink sticker! 5692 Cypress Gardens Road 863.268.6864 Winter Haven 3145 S Florida Ave 863.937.3195 Lakeland 20% OFF OCT 6-9 OCT 13-16 OCT 20-23 topicals rise + sleep wellness + anytime gummies Empowering hope with National Breast Cancer Foundation, Inc.®

October 2023 MORE EVENTS ONLINE

HALLOWEEN PARTY: THE HAVEN WITCHES!

Oct 28, 2023, 6:00 PM - 10:00 PM

Obscure Wine Company

276 W Central Avenue, Winter Haven

Step into the realm of magic and enchantment as we beckon the spirits of the night for an extraordinary Halloween Celebration. Unleash your imagination and participate in our costume contest. Join us for a night of mystic revelations as our esteemed tarot reader guides you through the ancient art of tarot reading. More info on FB @ obscurewine

GRB’S 7TH ANNUAL SPOOKTACULAR HALLOWEEN PARTY

Oct 28, 2023, 6:00 PM - 11:00 PM

Grove Roots Brewing Company

302 3rd Street SW, Winter Haven

The biggest, most wicked Halloween party, complete with spooky graveyards and a Halloween Ball! The night will be TOXIC and full of ghosts, goblins, ghouls, and witches haunting the brewery! The Packing House will be turning into a Spooktacular Ballroom complete with the coolest funk, jazz, and soul tunes!! Break out your costumes & dancing shoes! We will have multiple food trucks, beer releases (think candy beer), fun vendors, and more!

FREE CYPRESS GARDENS WATER SKI SHOW HALLOWEEN SPOOKTACULAR

Oct 28, 2023, 7:00 PM - 8:00 PM

Martin Luther King Jr Park

199 Lake Silver Drive, Winter Haven

Watch the world-famous Cypress Gardens Water Ski Team perform a free Halloween Spooktacular show on Lake Silver. Bring a chair or blanket to sit on, Concessions available for purchase. More info on FB @CypressGardensWaterSkiTeam

BALMORAL HALLOWEEN SPOOKTACULAR

Oct 28, 2023, 7:00 PM - 11:00 PM

Balmoral Bar & Grill

124 Kenny Blvd, Haines City

Get ready for a bewitching evening of fun and frights as we celebrate Halloween like never before. This event is perfect for families of all ages, so grab your costumes and join us for a ghoulishly good time. Free entry. centralfloridatix.com

PAL-OWEEN

Oct 29, 2023, 5:00 PM - 8:00 PM 325 W 2nd Street, Lakeland

Hosted by Lakeland PAL, the Police Athletic/ Activities League. Join the PAL for a SPOOKY

good time at a PAL-oween Party! They will have Trunk-or-Treat Stations, a photo area, a Haunted House, and more. Food and fun for the whole family! lakelandpal.com

HALLOWEEN DRAG & DINNER SHOW

Oct 31, 2023, 6:00 PM - 9:30 PM

Balmoral Event Center

116 Kenny Boulevard, Haines City

This is a 21+ event only. By popular demand, Balmoral brings a frightfully entertaining dinner combining sketch comedy, dance, performance art, improv, and drag. Hosted by Trishelle Michaels, this highly anticipated dinner show is only $49.95 and will sell out quickly! centralfloridatix.com

61
909 Dundee Rd, Dundee - Open Tues-Sat Fresh Oysters Raw. Steamed. Grilled Frog Legs | Gator | Crawfish | Catfish | Snapper | Flounder Grouper | Scallops | Shrimp | Snow Crab Legs King Crab | Seafood Platters | Prime Rib | Fried Lobster Homemade Seafood Gumbo | Full Service Bar Gary’s Oyster Bar and Seafood House 660 E. Hwy 17-92, Lake Alfred, FL | 863-956-5055 garysoysterbar.com | Mon-Sat: 4-9PM Sunday: 3-8PM
FRESHEST SCAN TO ADD YOUR EVENT
SEAFOOD AT ITS
havenmagazines.com 62 5 6 26 13 19 28 Superstition: Exhibition, Art Party, Dark Market/Oddities 16th Annual Oktoberfest Polk @ Nite Art and Cocktails After Midnight: Spotlight on Local Film Balmoral Halloween Spooktacular @centralfloridatix Downtown Winter Haven Polk Museum of Art ART/ifact Historic Ritz Theatre Balmoral Bar & Grill UPCOMING SHOWS & EVENTS Rod Stewart Tribute Balmoral Event Center OCTOBER OCTOBER OCTOBER OCTOBER OCTOBER OCTOBER

SOLD HOMES

AUBURNDALE

BARTOW

DAVENPORT

63
1031 BETHPAGE RD ....................................AUBURNDALE ...... 5/19/2023 ...... $304,900 131 EVERGREEN DR AUBURNDALE 5/19/2023 $320,000 3017 ERNEST DR AUBURNDALE 5/20/2023 $250,000 1271 MEZZAVALLE WAY ..............................AUBURNDALE ..... 5/24/2023 ...... $306,800 2261 PALMVIEW CIR ..................................AUBURNDALE ..... 5/26/2023 ...... $350,000 128 ADAMS RD AUBURNDALE 5/30/2023 $272,400 407 ORANGE ST ........................................AUBURNDALE ...... 5/31/2023 ........ $82,000 201 POLK ST ...............................................AUBURNDALE ..... 6/20/2023 ...... $390,000 203 POLK ST AUBURNDALE 6/20/2023 $390,000 663 DUNCAN CIR AUBURNDALE 7/6/2023 $125,000
1235 WOODLAWN BARTOW 5/19/2023 $205,000 865 N ORANGE BLOSSOM CIR BARTOW 5/19/2023 $90,000 1410 CLINTON ST ............................................... BARTOW ...... 5/22/2023 ....... $134,000 1420 CLINTON ST .............................................. BARTOW ...... 5/22/2023 ....... $134,000 1833 THOMPSON PRESERVE BLVD BARTOW 5/22/2023 $55,000 2162 HADLEY RD BARTOW 5/22/2023 $64,500 2950 FLYING BLACKBIRD RD ............................. BARTOW ...... 5/22/2023 ....... $341,900 2954 FLYING BLACKBIRD RD BARTOW 5/22/2023 $387,900 1936 THOMPSON PRESERVE BLVD BARTOW 5/23/2023 $55,000 2958 FLYING BLACKBIRD RD ............................. BARTOW ...... 5/23/2023 ....... $341,900 2962 FLYING BLACKBIRD RD ............................. BARTOW ...... 5/23/2023 ...... $390,000 2626 RED EGRET DR BARTOW 5/24/2023 $287,900
1616 EUCALYPTUS WAY DAVENPORT 5/18/2023 $202,000 1740 OCEANIA AVE ...................................... DAVENPORT ...... 5/18/2023 ...... $423,000 1768 WHITE WATER CT ................................ DAVENPORT ...... 5/18/2023 ....... $557,800 1772 WHITE WATER CT DAVENPORT 5/18/2023 $557,800 1776 WHITE WATER CT ................................ DAVENPORT ...... 5/18/2023 ....... $557,800 2198 AQUIFER LN......................................... DAVENPORT ...... 5/18/2023 ....... $557,800 2202 AQUIFER LN DAVENPORT 5/18/2023 $557,800 2206 AQUIFER LN ........................................ DAVENPORT ...... 5/18/2023 ....... $557,800 372 LILY LN ................................................... DAVENPORT ...... 5/18/2023 ....... $347,000 744 DARING DR DAVENPORT 5/18/2023 $413,300 989 WATERFALL BLVD DAVENPORT 5/18/2023 $557,800 993 WATERFALL BLVD ................................. DAVENPORT ...... 5/18/2023 ....... $557,800 997 WATERFALL BLVD DAVENPORT 5/18/2023 $557,800 3308 SONDER DR DAVENPORT 5/18/2023 $350,000 219 TROON CIR ............................................ DAVENPORT ...... 5/18/2023 ....... $410,000 3301 LILAC WAY DAVENPORT 5/18/2023 $672,000 149 ADVENTURE AVE DAVENPORT 5/19/2023 $786,000 206 BRAVE RD ............................................. DAVENPORT ...... 5/19/2023 ...... $786,000 218 BRAVE RD DAVENPORT 5/19/2023 $786,000 250 BRAVE RD ............................................. DAVENPORT ...... 5/19/2023 ...... $786,000 254 BRAVE RD ............................................. DAVENPORT ...... 5/19/2023 ...... $786,000 255 BRAVE RD DAVENPORT 5/19/2023 $786,000 2704 PIERR ST ............................................. DAVENPORT ...... 5/19/2023 ....... $607,600 2708 PIERR ST ............................................. DAVENPORT ...... 5/19/2023 ....... $607,600 271 BRAVE RD DAVENPORT 5/19/2023 $786,000 2712 PIERR ST ............................................... DAVENPORT ...... 5/19/2023 ....... $607,600 2716 PIERR ST............................................... DAVENPORT ...... 5/19/2023 ....... $607,600 2720 PIERR ST DAVENPORT 5/19/2023 $607,600 2724 PIERR ST DAVENPORT 5/19/2023 $607,600 2728 PIERR ST .............................................. DAVENPORT ...... 5/19/2023 ....... $607,600 2732 PIERR ST DAVENPORT 5/19/2023 $607,600 2869 PIERR ST DAVENPORT 5/19/2023 $607,600 2873 PIERR ST .............................................. DAVENPORT ...... 5/19/2023 ....... $607,600 358 PAR PINES BLVD DAVENPORT 5/19/2023 $163,000 407 RUM RUN DAVENPORT 5/19/2023 $222,500 4100 OAKTREE DR ...................................... DAVENPORT ...... 5/19/2023 ...... $600,000 417 HIGH POINT DR DAVENPORT 5/19/2023 $420,000 419 CITRUS RIDGE DR DAVENPORT 5/19/2023 $105,000 553 HATTERAS RD ....................................... DAVENPORT ...... 5/19/2023 ...... $786,000 556 BRUNSWICK DR DAVENPORT 5/19/2023 $470,000 61 CHAMPIONSHIP DR DAVENPORT 5/19/2023 $150,000 635 DARING DR ........................................... DAVENPORT ...... 5/19/2023 ...... $786,000 659 DARING DR DAVENPORT 5/19/2023 $786,000 663 DARING DR DAVENPORT 5/19/2023 $786,000 667 DARING DR ........................................... DAVENPORT ...... 5/19/2023 ...... $786,000 671 DARING DR DAVENPORT 5/19/2023 $786,000 436 WASHINGTON PALM LOOP DAVENPORT 5/19/2023 $290,000 866 PARADISE DR ....................................... DAVENPORT ...... 5/19/2023 ....... $601,000 902 CHARO PKWY 616 DAVENPORT 5/19/2023 $249,000 294 ABERDEEN ST DAVENPORT 5/20/2023 $460,000 1337 CASCADE DR ....................................... DAVENPORT ...... 5/22/2023 ........ $66,000 1411 EUCALYPTUS WAY ................................ DAVENPORT ...... 5/22/2023 ...... $453,800 1992 NOBLE DR DAVENPORT 5/22/2023 $365,400 2007 HANDSOME HILL LN........................... DAVENPORT ...... 5/22/2023 ....... $404,100 2527 HERITAGE GREEN AVE ........................ DAVENPORT ...... 5/22/2023 ...... $700,000 324 DEL SOL AVE DAVENPORT 5/22/2023 $530,000 422 ANNABELLE WAY .................................. DAVENPORT ...... 5/22/2023 ....... $299,500 43420 HIGHWAY 27 UNIT 441 ..................... DAVENPORT ...... 5/22/2023 .........$72,000 595 JETT LN DAVENPORT 5/22/2023 $369,400 804 DARING DR .......................................... DAVENPORT ...... 5/22/2023 ....... $361,000 942 JACKSON AVE ....................................... DAVENPORT ...... 5/22/2023 ...... $360,500 1622 DELIGHTFUL DR DAVENPORT 5/22/2023 $410,700 1630 DELIGHTFUL DR DAVENPORT 5/22/2023 $448,600 1642 DELIGHTFUL DR .................................. DAVENPORT ...... 5/22/2023 ...... $449,900 318 LANGHAM DR DAVENPORT 5/22/2023 $400,000 - CONTINUED ON PAGE 64 -

HAINES CITY

havenmagazines.com 64 4494 KAIPO RD DAVENPORT 5/22/2023 $876,700 1407 EUCALYPTUS WAY .............................. DAVENPORT ...... 5/23/2023 ........ $139,100 1439 EUCALYPTUS WAY .............................. DAVENPORT ...... 5/23/2023 ........ $139,100 1821 CHADBURY LOOP DAVENPORT 5/23/2023 $565,000 208 MANATEE AVE ...................................... DAVENPORT ...... 5/23/2023 ........ $177,000 284 FOXTAIL LOOP ..................................... DAVENPORT ...... 5/23/2023 .......$325,000 440 DOLCETTO DR DAVENPORT 5/23/2023 $435,000 1004 CASCADE DR ...................................... DAVENPORT ..... 5/24/2023 ...... $466,300 1068 CASCADE DR ...................................... DAVENPORT ..... 5/24/2023 ....... $332,300 337 CITRUS RIDGE DR DAVENPORT 5/24/2023 $96,900 792 DARING DR DAVENPORT 5/24/2023 $344,000 1253 CASCADE DR ....................................... DAVENPORT ...... 5/25/2023 ....... $196,700 130 TINY FLOWER RD DAVENPORT 5/25/2023 $358,800 134 DILLON WAY DAVENPORT 5/25/2023 $378,000 1996 VICTORIA ST ....................................... DAVENPORT ...... 5/25/2023 ....... $196,700 2204 ORCHID DR DAVENPORT 5/25/2023 $196,700 418 COOL SUMMER LN DAVENPORT 5/25/2023 $344,500 422 COOL SUMMER LN ............................... DAVENPORT ...... 5/25/2023 ...... $306,800 427 COOL SUMMER LN DAVENPORT 5/25/2023 $315,000 728 DARING DR DAVENPORT 5/25/2023 $370,500 758 JEFFERSON ST ....................................... DAVENPORT ...... 5/25/2023 ...... $405,000 905 JACKSON AVE DAVENPORT 5/25/2023 $433,000 407 LEGACY LOOP DAVENPORT 5/25/2023 $347,500 1342 MERRIMACK PL ................................... DAVENPORT ..... 5/26/2023 ...... $285,000 2360 ORCHID DR DAVENPORT 5/26/2023 $401,600 1817 SERENO DR .......................................... DAVENPORT ..... 5/26/2023 ...... $365,000 419 LEGACY LOOP ....................................... DAVENPORT ..... 5/26/2023 ....... $326,100 591 LEGACY LOOP DAVENPORT 5/26/2023 $312,300 1512 EUCALYPTUS WAY ............................... DAVENPORT ..... 5/30/2023 ...... $369,800 1600 EUCALYPTUS WAY .............................. DAVENPORT ..... 5/30/2023 .......$299,900 230 BRAVE RD DAVENPORT 5/30/2023 $420,000 587 JETT LN.................................................. DAVENPORT ..... 5/30/2023 ...... $350,000 800 DARING DR .......................................... DAVENPORT ..... 5/30/2023 ....... $377,600 901 CHARO PKWY 735 DAVENPORT 5/30/2023 $238,000 1155 BERRY LN DAVENPORT 5/31/2023 $333,000 1206 CASCADE DR ....................................... DAVENPORT ...... 5/31/2023 ........ $66,000 1249 CASCADE DR DAVENPORT 5/31/2023 $486,200 1338 CASCADE DR DAVENPORT 5/31/2023 $400,900 1411 MERRIMACK LN .................................... DAVENPORT ...... 5/31/2023 ...... $290,000 523 BENT OAK LOOP DAVENPORT 5/31/2023 $390,000 2254 LOVELY LN DAVENPORT 5/31/2023 $384,100 1229 CASCADE DR ....................................... DAVENPORT ....... 6/2/2023 ........ $66,000 1559 EUCALYPTUS WAY DAVENPORT 6/2/2023 $392,900 226 BRAVE RD DAVENPORT 6/6/2023 $373,000
1351 MADISON CIR HAINES CITY 5/18/2023 $298,000 1352 MADISON CIR ...................................... HAINES CITY ...... 5/18/2023 ....... $332,500 Shopping Local Matters We can save you time and money with all your insurance needs. www.ebdins.com @ebdinsonline Ewing, Blackwelder & Duce Insurance Karl Duce, AAI Agent 1330 Havendale Blvd., Winter Haven Phone: 863-293-2838 Mike Trueheart Agent 635 1st St., Winter Haven Phone: 863-293-4864

LAKE WALES

LAKELAND

65 2022 DEXTER ST HAINES CITY 5/18/2023 $315,000 2850 SANDERLING ST ................................. HAINES CITY ...... 5/19/2023 ...... $350,000 31 CYPRESS RUN.......................................... HAINES CITY ...... 5/19/2023 ...... $270,000 105 PIAVE ST HAINES CITY 5/22/2023 $293,500 1715 MELBOURNE AVE ................................. HAINES CITY ...... 5/22/2023 ........ $75,000 192 MINNIEHAHA CIR .................................. HAINES CITY ...... 5/22/2023 ...... $395,000 4811 RIGGING ST HAINES CITY 5/23/2023 $345,000 5808 BALLAST ST ........................................ HAINES CITY ...... 5/23/2023 ...... $345,000 5932 CATAMARAN AVE ............................... HAINES CITY ...... 5/23/2023 ...... $345,000 5956 CATAMARAN AVE HAINES CITY 5/23/2023 $345,000 5960 CATAMARAN AVE HAINES CITY 5/23/2023 $345,000 6023 BIMINI AVE .......................................... HAINES CITY ...... 5/23/2023 ...... $345,000 2235 PIGEON PLUM DR HAINES CITY 5/24/2023 $346,000 340 MEADOW POINTE DR HAINES CITY 5/24/2023 $335,000 696 SILVER PALM DR ................................... HAINES CITY ..... 5/24/2023 ....... $327,000 936 CHANLER DR HAINES CITY 5/26/2023 $235,100 189 MITCHELL’S MNR HAINES CITY 5/30/2023 $440,000 183 BROOKE’S PL......................................... HAINES CITY ...... 5/31/2023 ...... $300,000 2030 NIGHTHAWK DR HAINES CITY 6/14/2023 $350,000 104 TOWNS CIR HAINES CITY 6/2/2023 $359,100 519 TORTUGAS ST ....................................... HAINES CITY ....... 6/2/2023 ...... $346,000 1405 21ST ST HAINES CITY 6/30/2023 $170,000
1152 TOWERGATE CIR .................................. LAKE WALES ...... 5/22/2023 ...... $355,000 2006 GRANADA CT LAKE WALES 5/22/2023 $160,500 520 EDGEWATER DR LAKE WALES 5/23/2023 $255,000 931 STRATHMORE PL................................... LAKE WALES ....... 6/6/2023 ........ $85,000 937 STRATHMORE PL LAKE WALES 6/6/2023 $85,000 943 STRATHMORE PL LAKE WALES 6/6/2023 $85,000
1860 VIA LAGO DR LAKELAND 5/18/2023 $535,000 1017 CARACARA CIR ....................................... LAKELAND ...... 5/18/2023 ...... $265,000 6164 SEAGULL LN ........................................... LAKELAND ...... 5/18/2023 ....... $275,000 1548 LEHALL SQ LAKELAND 5/18/2023 $352,000 2253 MALACHITE DR ...................................... LAKELAND ...... 5/18/2023 ...... $605,000 3454 HILSON DR ............................................ LAKELAND ...... 5/18/2023 .......$325,000 5486 BEVERLY RISE BLVD LAKELAND 5/18/2023 $336,000 1051 CLEARPOINTE WAY ................................ LAKELAND ...... 5/18/2023 ...... $389,000 86 SHADOW LN .............................................. LAKELAND ...... 5/18/2023 ...... $430,000 1115 N DAVIS AVE LAKELAND 5/19/2023 $95,100 1310 LEMON ST LAKELAND 5/19/2023 $305,000 1354 HONEYTREE LN ...................................... LAKELAND ...... 5/19/2023 ...... $270,000 1723 RED LOOP LAKELAND 5/19/2023 $287,700 1724 RED LOOP LAKELAND 5/19/2023 $341,600
Dr. Lipson has been committed to her patients and the community for 24 years 210 1st Street N, Winter Haven | 863.293.4800 | Fax: 863.293.4410 lipsonpaininstitute.com
Anissa Hohnstrieter , APRN | Ana D. Lipson, M.D. | Patricia Bayshor e, APRN
havenmagazines.com HEALTHCARE AS IT IS MEANT TO BE POLK COUNTY’S ONLY PRIVATE ROOM REHABILITATION CENTER 863.294.3055 | springlakerehab.com 1540 6th St. NW, Winter Haven
Samuel Bak, ‘Adam and Eve and the Sweat and the Pain’ (detail), 2009, Oil on canvas, Courtesy of Pucker Gallery, Boston. Reynier Llanes, ‘Festive on to Spring’ (detail), Courtesy of the artist.
67 1730 RED LOOP LAKELAND 5/19/2023 $312,100 169 CHRISTINA BLVD ...................................... LAKELAND ...... 5/19/2023 ...... $650,000 715 LAKEHURST ST ......................................... LAKELAND ...... 5/19/2023 ...... $239,000 1408 MAYFLOWER DR LAKELAND 5/19/2023 $80,000 1794 ALTAVISTA CIR ........................................ LAKELAND ...... 5/19/2023 ...... $608,000 1979 ALTAVISTA CIR ........................................ LAKELAND ...... 5/19/2023 ....... $415,000 3433 SUMMIT DR LAKELAND 5/19/2023 $390,800 4110 MOSSY OAK DR ...................................... LAKELAND ...... 5/19/2023 ........ $80,000 5231 TURTLE DOVE TRL ................................. LAKELAND ...... 5/19/2023 ...... $230,000 4345 CARRABELLE RIVER LN LAKELAND 5/19/2023 $336,900 5775 CHERRY TREE DR LAKELAND 5/19/2023 $224,600 4031 WINDING VINE DR ................................. LAKELAND ...... 5/19/2023 ...... $238,000 2741 HIGH RIDGE DR LAKELAND 5/19/2023 $310,000 2741 HIGH RIDGE DR LAKELAND 5/19/2023 $320,000 5611 EMERALD RIDGE BLVD ............................ LAKELAND ...... 5/19/2023 ...... $630,000 6235 SOMERSET LAKELAND 5/19/2023 $336,000 6719 TREYMONT DR LAKELAND 5/19/2023 $475,000 1415 RIDGE LAKE CT ....................................... LAKELAND ...... 5/22/2023 ........ $110,000 6109 KITTIWAKE DR LAKELAND 5/22/2023 $230,000 5810 MANCHESTER DR LAKELAND 5/22/2023 $329,000 7316 HUNTERS GREENE CIR ........................... LAKELAND ...... 5/22/2023 ...... $305,000 4395 TROTTERS WAY LAKELAND 5/23/2023 $414,100 1830 CHEROKEE TRL LAKELAND 5/23/2023 $675,000 141 FERNERY RD #B-6 ...................................... LAKELAND ...... 5/23/2023 ......... $95,100 1503 MORNING DOVE LOOP LAKELAND 5/23/2023 $450,000 5433 LIMESTONE LN....................................... LAKELAND ...... 5/23/2023 .......$235,000 5739 CRANE DR .............................................. LAKELAND ...... 5/23/2023 ...... $305,000 3214 OTTER CREEK CT LAKELAND 5/23/2023 $50,100 1415 PERSIMMON WAY ................................... LAKELAND ...... 5/23/2023 ....... $267,000 5763 SCOTT LAKE HILLS LN ........................... LAKELAND ...... 5/23/2023 ....... $410,000 3099 SANCTUARY CIR LAKELAND 5/24/2023 $1,077,000 317 MAXWELL ST W ........................................ LAKELAND ..... 5/24/2023 ....... $419,000 5456 FIELDSTONE DR ..................................... LAKELAND ..... 5/24/2023 ....... $225,000 8163 WOODVINE CIR LAKELAND 5/24/2023 $340,000 8278 SETTLERS CREEK LOOP LAKELAND 5/24/2023 $320,000 4065 SHADE TREE LN ..................................... LAKELAND ..... 5/24/2023 ...... $245,000 5341 DELPHI HILLS CIR LAKELAND 5/24/2023 $151,400 2237 MERSHON ST LAKELAND 5/24/2023 $225,000 244 PADGETT PL ............................................ LAKELAND ...... 5/25/2023 ...... $300,000 4122 WINDING VINE DR LAKELAND 5/25/2023 $260,000 4535 DOVE MEADOW LN LAKELAND 5/26/2023 $260,000 5475 KNIGHTS LANDING DR .......................... LAKELAND ..... 5/26/2023 ...... $435,400 7805 HWY 98 LAKELAND 5/30/2023 $2,700,000 1312 EDGEWATER BEACH DR LAKELAND 5/31/2023 $634,000 2104 LONGLEAF CIR ....................................... LAKELAND ........ 6/1/2023 ...... $470,000 1316 GLENVIEW LN LAKELAND 6/16/2023 $300,200 13509 CREEKWOOD CT LAKELAND 6/26/2023 $63,000 - CONTINUED ON PAGE 69BEAUTIFUL LAKE ESCAPE IN LAKESHORE! 1 BD/ 1 BA • 648 SF Open Living/Dining Space • Vaulted Ceilings Expanded Kitchen • Brand-New Central A/C Screened-In Patio • Resort-Style Amenities $94,900 Dedicated to You, Dedicated to Results! www.LegacyRealEstateCenter.com 863-676-0200 Dawn Jenkins • 407.520.0036 2019 Best of WINNER Mention this Ad for a FREE 90-minute Consultation ATTORNEY ADVERTISING OUR KEY OFFERINGS Estate Planning Wills Trusts Probate Elder Law Medicaid Planning Asset Protection 863.220.7927 Office | 863.225.224 Direct DeniseTessier@TessierLawFirm.com www.TessierLawFirm.com 1375 Havendale Blvd. NW | Winter Haven, FL 33881
Denise R. Tessier, Esq.
havenmagazines.com 68 Holiday Season is Here Get your local gifts and décor from the #1 Best Gift Shop! #HavenLocalShop • 863.297.8027 FB @havenlocalshop • Mon-Sat: 10 am-6 pm 329 W Central Ave, Winter Haven • havenlocalshop.com Good to be home. carltonarmsofwinterhaven.com 863.875.1700 James Boley 863-400-7460 3615 S Florida Ave, Lakeland geico.com/lakeland-boley ¡Hablamos Español! Limitations apply. See geico.com for more details. GEICO & affilates. Washinton, DC 20076 © 2021 GEICO

WINTER HAVEN

69 3826 COVEY CT LAKELAND 6/30/2023 $370,000 1235 LAKE POINT DR ...................................... LAKELAND ....... 6/5/2023 ...... $665,000 507 EMPRESS WAY ......................................... LAKELAND ........ 6/7/2023 ...... $365,000 8070 DIAMOND CREEK LN LAKELAND 7/5/2023 $315,000 1042 SUGARTREE DR ..................................... LAKELAND ........ 7/5/2023 ...... $420,000
1093 SANDPIPER LOOP WINTER HAVEN 5/18/2023 $441,100 312 INMAN BLVD ..................................... WINTER HAVEN ...... 5/18/2023 ...... $598,500 320 INMAN BLVD WINTER HAVEN 5/18/2023 $598,500 636 GROVE ST WINTER HAVEN 5/18/2023 $598,500 672 GROVE ST ........................................ WINTER HAVEN ...... 5/18/2023 ...... $598,500 676 GROVE ST WINTER HAVEN 5/18/2023 $598,500 680 GROVE ST WINTER HAVEN 5/18/2023 $598,500 684 GROVE ST ........................................ WINTER HAVEN ...... 5/18/2023 ...... $598,500 708 GROVE ST WINTER HAVEN 5/18/2023 $598,500 720 GROVE ST WINTER HAVEN 5/18/2023 $598,500 834 TURNER LN...................................... WINTER HAVEN ...... 5/18/2023 ...... $598,500 835 TURNER LN WINTER HAVEN 5/18/2023 $598,500 3655 PLYMOUTH DR WINTER HAVEN 5/18/2023 $355,000 5340 MICHAEL DR.................................. WINTER HAVEN ...... 5/18/2023 ...... $350,000 6760 WINTERSET GARDENS RD WINTER HAVEN 5/18/2023 $435,000 100 7TH ST WINTER HAVEN 5/19/2023 $140,000 1037 BROOKS WAY ................................. WINTER HAVEN ...... 5/19/2023 ........ $338,571 159 AVENUE G WINTER HAVEN 5/19/2023 $72,500 664 GROVE ST ........................................ WINTER HAVEN ...... 5/19/2023 ...... $305,000 1435 DA VINCI WAY ................................ WINTER HAVEN ...... 5/19/2023 ....... $342,200 1784 CARNOSTIE RD WINTER HAVEN 5/19/2023 $310,000 1788 CARNOSTIE RD .............................. WINTER HAVEN ...... 5/19/2023 .......$285,300 3015 LAUREL OAK LN ............................. WINTER HAVEN ...... 5/19/2023 ...... $348,800 698 EAGLE LANDING BLVD WINTER HAVEN 5/22/2023 $299,500 1053 SANDPIPER LOOP .......................... WINTER HAVEN ...... 5/22/2023 ....... $416,700 1557 LEMON AVE .................................... WINTER HAVEN ...... 5/22/2023 ...... $340,000 1796 CARNOSTIE RD WINTER HAVEN 5/22/2023 $364,700 923 MADDOX ST WINTER HAVEN 5/23/2023 $320,700 1306 EAGLE POND DR ............................ WINTER HAVEN ...... 5/23/2023 ....... $180,000 3923 PALAZZO PL WINTER HAVEN 5/23/2023 $297,300 765 OAKMONT LN WINTER HAVEN 5/23/2023 $259,000 6417 JACARANDA AVE ............................ WINTER HAVEN ..... 5/24/2023 ....... $165,000 348 SUWANNEE RD WINTER HAVEN 5/24/2023 $197,500 1125 SANDPIPER LOOP WINTER HAVEN 5/26/2023 $452,600 348 SUWANNEE RD ................................ WINTER HAVEN ..... 5/26/2023 .......$235,000 2220 NW AVENUE F WINTER HAVEN 5/31/2023 $215,000 4163 ROLLING OAKS DR WINTER HAVEN 5/31/2023 $110,000 1434 DA VINCI WAY ................................ WINTER HAVEN ...... 5/31/2023 ....... $379,700 1530 11TH ST WINTER HAVEN 6/13/2023 $175,000 1491 3RD ST WINTER HAVEN 6/27/2023 $1,450,000 347 AVENUE O ........................................ WINTER HAVEN ...... 6/27/2023 .... $1,450,000 BEFORE AFTER 501 E Central Ave | Winter Haven 863-293-1108 | winterhavenfamilydentistry.com Mon-Thurs: 8-4:30 pm Fri-Sun: Closed Located across the street from the Bond Clinic in downtown Winter Haven 2019 Best of WINNER Achieve Beautiful Healthy Smiles! We offer premier, high-tech dental care in a comfortable setting Same Day Crowns • Implants • Professional Teeth Whitening • Dentures • Cosmetic Smile Makeovers • Before and After photos Visit us today and see why our patients have given us stellar reviews!

WALKABILITY

of people living, shopping, spending time in an area

DOWNTOWN WINTER HAVEN

WALK SCORE 76 WALK 76

Walk Score points are awarded based on the distance to amenities walkscore.com

7/3/2023 7/31/2023

We’re All Stardust

ARIES

March 21 - April 19

Hey, fiery Aries! October sets the stage for your ambitions to soar. Embrace your passion and take the lead in your cosmic journey. Your determination is a cosmic compass; follow it to your dreams and watch as the universe aligns in your favor.

TAURUS

April 20 - May 20

Cosmic earthlings, October brings a grounding energy. Connect with the beauty of simplicity and nurture your inner garden. Let your creative roots run deep and watch your life bloom with newfound harmony.

GEMINI

May 21 - June 20

Cosmic twins, embrace your duality! October invites you to explore both sides of your personality. Dive into deep conversations with your inner self and communicate your truth. With your words as wands, weave your cosmic magic.

CANCER

June 21 - July 22

Love and compassion overflow in October, Cancer. Dive into the sea of emotions and let your intuition guide you. Nurture your connections and create a cozy cosmic cocoon where your heart can heal and thrive.

LEO

July 23 - August 22

Cosmic royalty, October spotlights your charisma. Let your inner star shine brightly and share your creative brilliance with the world. Embrace the stage, whether metaphorical or literal, and watch the cosmic applause roll in.

VIRGO

August 23 - September 22

Hey there, cosmic healers! October whispers self-care and self-love. Embrace your inner goddess and pamper your mind, body, and soul. Tune into your intuition and let the universe’s wisdom guide you.

LIBRA

September 23 - October 22

Cosmic balancers, unite! October is all about harmony and connections. Embrace your diplomatic charm and create cosmic collaborations. Spread love like confetti and let your relationships bloom.

SCORPIO

October 23 - November 21

Deep and mysterious Scorpio, October brings transformation. Embrace your inner phoenix and rise from the ashes. Let go of the old to welcome the new. Your cosmic energy is magnetic – embrace the magic within.

SAGITTARIUS

November 22 - December 21

Hey, adventurous archer! October calls for exploration. Embrace your wanderlust and seek wisdom from distant horizons. Expand your mind, ignite your spirit, and let the universe guide your cosmic journey.

CAPRICORN

December 22 - January 19

October shines a cosmic spotlight on your ambitions, Capricorn. Channel your practical magic and climb those cosmic mountains. Embrace your earthly wisdom and trust the universe to manifest your dreams.

AQUARIUS

January 20 - February 18

Hey, cosmic innovator! October sparks your revolutionary spirit. Embrace your unique perspective and be the change you wish to see. Dance to your own cosmic rhythm and let your ideas illuminate the world.

PISCES

February 19 - March 20

In October, dive into your dreamy depths, Pisces. Embrace your intuition and artistic flow. Let your cosmic imagination run wild and create masterpieces that speak to the soul. Your dreams are galaxies waiting to be explored.

71
we see an ad for your business in your future contact: christine@destroyermedia.com
EVERY SATURDAY 9AM-1PM ACROSS FROM GROVE ROOTS WINTERHAVENFARMERSMARKET.COM @WINTERHAVENFARMERSMARKET
73
#kindachill
tag us

OCTOBER 13TH

FRIDAY 6-8 PM

Let’s Play Shuffleboard!

NO EXPERIENCE NECESSARY

Lakeland Shuffleboard Club located in Lake Parker Park

SNACKS AVAILABLE FOR PURCHASE

*CLOSED TOE SHOES REQUIRED

75
#kindachill
tag us
at MUSEUM OF ART MUSEUM OF ART MASTERMINDED BY LKLD MAGAZINE ART COCKTAILS A ART & COCKTAILS October 19th 5pm-8pm Exclusive access to The Art of Samuel Bak and The Art of Reynier Llanes $15 TICKET, $20 AT THE DOOR. INCLUDES: ACCESS TO FEATURED EXHIBITS MUSIC BY DJ JENKS SMALL BITES + DRINKS BY COB & PEN FIRST DRINK FREE Purchase both tickets and museum memberships at centralfloridatix.com
#kindachill
tag us
#kindachill
tag us
/ B A L M O R A L B A R A N D G R I L L / B A L M O R A L R E S O R T / B A L M O R A L E V E N T C E N T E R Kenny Rogers Kenny Rogers Tribute Tribute Event Center Dinner Show Event Center Dinner Show October 12th | Doors Open 6pm October 12th | Doors Open 6pm Frankie Valli Frankie Valli Tribute Tribute Event Center Dinner Show Event Center Dinner Show October 27th | Doors Open 6pm October 27th | Doors Open 6pm Halloween Drag Show Halloween Drag Show Event Center Dinner Show Event Center Dinner Show October 31st | Doors Open 6pm October 31st | Doors Open 6pm Country Western Music & Car Show Bar & Grill FREE Event October 14th | Car Show 10am Music Starts 4pm Balmoral Halloween Spooktacular Bar & Grill FREE Event October 28th | 7pm - 11pm Latin Rock Festival Bar & Grill November 4th | 6pm - 12am H A I N E S C I T Y T I C K E T S A V A I L A B L E A T C E N T R A L F L O R I D A T I X . C O M 1 1 6 K E N N Y B L V D , H A I N E S C I T Y , F L 3 3 8 4 4 HAINES CITY Pink Floyd Tribute Event Center Dinner Show November 4th Doors Open 6:45pm Bee Gees Tribute Event Center Dinner Show November 16th Doors Open 6:00pm 1 2 4 K E N N Y B L V D , H A I N E S C I T Y , F L 3 3 8 4 4 B A L M O R A L B A R & G R I L L . C O M

Turn static files into dynamic content formats.

Create a flipbook
Issuu converts static files into: digital portfolios, online yearbooks, online catalogs, digital photo albums and more. Sign up and create your flipbook.