Revista Singular - Edição 84

Page 1

Tecnologia e inovação transformando sorrisos

Dentistas que se reinventaram contam sobre os avanços e novidades do setor, relembram as adversidades da pandemia e expectativas de futuro.

Edição 84 Setembro 2022

Chegou o Kia Stonic.

Motor
GDI
120
Câmbio
Turbo
de
cv
automático de 7 velocidades Sistema híbrido MHEV e Frenagem regenerativa 6 airbags Multimídia LCD de 8”
primeiro SUV híbrido. COMPRE SEU KIA STONIC NA GANDINI KIA ITU. AV. FRANCISCO ERNESTO FÁVERO, 662. TEL: (11) 4024-8001.
Seu

Juntos salvamos vidas.

O novo Kia Stonic une o melhor do motor Turbo GDI com a eficiência da eletricidade.

Sistema híbrido MHEV com motor Turbo GDI de 120 cv movido a combustível e eletricidade, com frenagem regenerativa. Menor emissão de poluentes, maior economia e sustentabilidade. Câmbio automático de 7 velocidades. Assistente de partida em subidas (HAC). 6 airbags para maior segurança. Sistema Multimídia com tela estilo “flutuante” LCD de 8” (Apple CarPlay® e Android AutoTM).

kia.com.br

CASA GOLFTERRAS DE SÃO JOSÉ

Área construída: 590 m²

Área do terreno: 2100 m²

• 5 suítes com closet

• Home Theater de alta qualidade

• Área gourmet com mirante

• Poço semi artesiano

• Garagem coberta para 4 carros

• Energia fotovoltaica (solar)

• Piscina aquecida com borda infinita

• Equipada com ares condicionados

• Vista para o campo de golf

• Mobiliada

(11) 97128-4200

Veja detalhes no site:

10
www.idamar.com.br

R$ 11.700.000,00

Acesse o QR Code para maiores informações:

IDAMAR

DALLA VECCHIA

Especialista em venda e locação de imóveis exclusivos de alto padrão.

11 Edifício Torre INC
Francisco José Ferreira Sampaio, 50 - Novo Centro - Itu/SP
R.
REF 0409

Para cada história com V tem um Visconde para você

Há mais de 18 anos construindo empreendimentos com foco na satisfação de cada cliente. Uma empresa que está em constante crescimento com rmes propósitos alicerçados pela honestidade, con ança e transparência. MAIS DO QUE PAREDES, CONSTRUÍMOS LARES.

APARTAMENTOS DE 1 A 4 DORMS

Lançamentos | Em obras | Prontos para morar

Sorocaba

Itu • São Paulo • Jacareí
O QR CODE E SAIBA MAIS
ACESSE

Juntos construímos histórias

Villa di Trento Itu

A tranquilidade do bom negócio...

Fazenda Boa Vista

Fazenda Vila Real

Terras de São José

Campos de Santo Antônio I e II

Terras de São José II

Quinta da Baroneza

Villas do Golfe

16
CRECI:28538-J

Uma das referências do segmento na região é a RBA Negócios Imobiliários, dos sócios Armando Laudorio, Beatriz Laudorio Muneratti e Renato Laudorio. Fundada em 2015 em Sorocaba, expandiu suas atividades há aproximadamente 2 anos para a cidade de Itu, onde moram os sócios.

Focada no mercado de luxo e alto padrão, a RBA tem como diferencial o acompanhamento integral de todas as etapas da negociação, desde a fase inicial de veiculação do imóvel, passando pelas visitas com corretores experientes e especializados, até a concretização final do negócio, com acompanhamento jurídico próprio na formalização de todas as tratativas negociais e contratuais.

17
rbaimobiliaria (11) 97649-1015 Entre em contato pelo Whatsapp

SETEMBRO AMARELO

E COM A SAÚDE BUCAL EM DIA

CChegamos a mais uma edição da Revista Singular com um trabalho editorial que visa fornecer relevantes informações sobre um setor extremamente importante para economia brasileira e para a saúde da população: o odontológico.

Ao mesmo passo que o mercado passou por intensas dificuldades durante a pandemia, os avanços tecnológicos proporcionaram diagnósticos e tratamentos mais assertivos e rápidos para os pacientes. A saúde bucal e o sorriso nunca estiveram em tanta evidência como agora. Para compreenderemos um pouco melhor o atual cenário, conversamos com os principais profissionais e clínicas da região sobre seus respectivos olhares para esse momento.

Na sessão “persona” abrimos espaço para o “Setembro Amarelo” que tem por objetivo salvar vidas e prevenir o suicídio. Afinal, o suicídio é uma das três principais causas de morte entre pessoas de 15 a 44 anos. Estima-se que anualmente um milhão de pessoas morrem por suicídio no mundo. A cada 45 segundos alguém tira a própria vida. Para falar sobre o tema convidamos a psiquiatra, dra. Maria Alice Sobreira.

Adiante aos nossos conteúdos, temos uma interessante “Dica de Leitura” com a referência do livro “2030” que fala sobre tendências atualmente em curso, que segundo Mauro F. Guillén convergirão no ano de 2030 e mudará tudo que sabemos sobre cultura, economia e o mundo.

Complementando nossas páginas, as principais dicas culturais para setembro e eventos marcantes no último mês são destaques além do espaço “Tech”, com as melhores referências de compra de equipamentos tecnológicos.

Nosso atual trabalho também marca um novo momento jornalístico da Singular com produções mais especializadas mantendo nossos critérios técnicos e de qualidade que são valores presentes desde o início dessa revista que é hoje a publicação líder em leitura impressa, digital e na qualidade de parceiros anunciantes.

Desejo a todos uma excelente leitura!

Direção

Gabriel Miloco Barbosa

gabriel@editoram.com.br

Diretor de Redação

Gabriel Miloco Barbosa

gabriel@editoram.com.br

Depto. de Arte

Larissa Timponi arte@editoram.com.br

Jornalismo

Geiza Graciano jornalismo@editoram.com.br

Atendimento

11 2715-7609 comercial@editoram.com.br

Distribuição

Gratuita nas cidades de Itu, Salto e Porto Feliz

Para Anunciar

11 2715-7609 | 9.7631-6336 | comercial@editoram.com.br

A reprodução total ou parcial da Revista Singular somente será possível com a autorização por escrito. As informações contidas nos anúncios são de total responsabilidade dos anunciantes, bem como os artigos são de responsabilidade de seus autores. A Revista Singular não expressa nenhuma forma de opinião.

18
revistasingular issuu.com/ rsingular facebook.com/ revistasingular instagram.com/
© Todos os direitos reservados.
cartaaoleitor
Gabriel Barbosa Diretor

A palavra havaiana “poke” significa cortar ou fatiar e é usada para nomear esse prato típico da região! Comumente preparados com peixe cru ou grelhado, vem acompanhado de ingredientes leves e refrescantes para criar um prato equilibrado!

19 O POKE PERFEITO PARA VOCÊ! PEÇA PELO: ESCOLHA OS INGREDIENTES QUE MAIS GOSTA PARA CRIAR O SEU POKE PERFEITO! SÃO MAIS DE 45 OPÇÕES PARA VOCÊ ESCOLHER. NOSSO POKE É COMPOSTO POR: BASE + PROTEÍNA + TOPPINGS + CRUNCHES + NUT + MOLHO + FINALIZAÇÃO TEMOS 3 TAMANHOS: MAROLA TSUNAMI VIAGEM • • • • • • • • • • • • • • • • • • • • • • • • • • • • • • • • • • • • • • • • • • • • • • • • • • • • • • • • • • • • • • • • • • • • • • • • • • • • • • • • • • • (11) 2429-2899 | MANAPOKE.ITU | RUA DOUTOR BENEDITO GALVÃO, 40 - VILA LEIS
POKE HAVAIANO?
AINDA NÃO CONHECE O

Reinaldo Rangel Imóveis

O

CRECI 33066-J

Aproxime a câmera do QR Code e acesse nosso site para mais informações:

Condomínio

4 suítes, 6 banheiros, sauna, piso em porcelanato, área gourmet com churrasqueira, piscina, garagem para 4 carros, 306 m2 construídos

R$ 2.350.000,00

Condomínio Reserva Saint Paul

4 suítes, lavabo, varandas, cozinha integrada com área gourmet, escritório, piscina, garagem para 4 carros, 394.59 m2 construídos

R$ 2.850.000,00

4 suítes, 6 banheiros, lavabo, varandas, despensa, edícula, portão eletrônico, piscina, garagem para 4 carros, 337 m2 construídos

R$ 1.420.000,00

4 suítes, 5 banheiros, lavabo, varanda gourmet, armários de cozinha e banheiro, copa, garagem para 4 carros, 307 m2 construídos

R$ 1.399.000,00

20
11 99948-7110 reinaldorangel.com.br
seu exclusivo corretor de imóveis
Reserva Saint Paul Condomínio Portal de Itu II Condomínio Portal de Itu I
construção
em
A equipe Henrique Terras atua no mercado imobiliário desde 1998 com os loteamentos Terras de São José I e II, Villas do Golfe, Santo Antônio II e Parque Ytu Chapada, negociando e apresentando imóveis de alto padrão com qualidade e valores especiais, sendo referência em Itu e região. Entre em contato: 11 9.9989-6395 | henriqueterrassj@terra.com.br 11 9.9958-0315 | marisabelcmsanto@terra.com.br
Obem-estar de morar no interior
(11) 97539-7574
CUIDE DE DO SEU BEM ESTAR
MENTE
CUIDE DA SUA
CUIDE DA SUA FAMÍLIA
VOCÊ ACESSE O SITE AV. DR. ERMELINDO MAFFEI, 1199 JARDIM PARAISO, ITU (PLAZA SHOPPING) @ACADEMIASTEMESPORTES
CUIDE DE

LINHA CONCEPT

NOVO NOME, MESMO

DESCONTO É NA ÓTICAS ITU!

Na compra dos óculos completos (armação + lentes) você ganha o desconto no valor da armação, relativo a sua idade:

50 ANOS = 50% DE DESCONTO NA ARMAÇÃO

*promoção válida até o término dos estoques

**linhas Concept e Gold

oticasitu

(11) 4022-5251 | 91042-5251

25
CONCEITO
Rua Floriano Peixoto, 786, Centro - Itu/SP OLHAR!
NO
estamos no mesmo endereço a mais de 20 anos, com a mesma qualidade, respeito e comprometimento!
LINHA GOLD

ÍNDICE

34 matéria de capa

A mudança do sorriso no pós-pandemia

61 persona

Setembro Amarelo: informação como forma de prevenção

78 moda Animal Print

84 leitura

Aproveite dicas imperdíveis de leitura

90 tech

As melhores novidades do mercado de tecnologia

108 cinema

Confira os lançamentos do cinema

26

Construir sonhos, esse é meu propósito. Para quem um dia se formou em nutrição e hoje é uma engenheira, a transformação e o reposicionamento da minha carreira profissional foi muito grande.

Foi como literalmente mudar da água para o vinho. Fui em busca do meu propósito profissional, cujo principal objetivo era materializar o desejo de muitas famílias em obter o imóvel dos sonhos.

Sou uma apaixonada por cada criação, cada execução que faço parte, sinto prazer em atender as expectativas dos nossos clientes. Acompanhar desde a concepção do projeto até a entrega das chaves é um sentimento que não sou capaz de traduzir em palavras, pois a sensação é indescritível.

Uma sonhadora, assim se define a Engª Romarli Mendes, casada com Engº Márcio Mendes, mãe da Maria Eduarda, natural da cidade de Salto (SP), Engenheira responsável pela EngPlus Engenharia Projetos e Construções, uma construtora que administra e gerencia obras, sempre prezando pelo rigor técnico e qualidade dos serviços entregues aos seus clientes.

Em 2010 quando iniciei na universidade, olhava ao redor e me perguntava: “O que estou fazendo aqui?” Estava em uma sala com cerca de 100 alunos, onde não havia mais que 8 mulheres. O mercado profissional na engenharia civil ainda é um campo predominantemente masculino, mas nós mulheres estamos cada vez mais ganhando espaço nesse segmento, e por consequência se empoderando e tendo uma participação mais ativa e de relevância no mercado de trabalho.

Meu esposo já trabalhava na área, em obras e projetos de infraestrutura, sendo ele o meu grande incentivador e apoiador, para então juntos fundarmos a nossa própria construtora, atuando na elaboração e execução de projetos arquitetônicos e complementares, construções, administração e gerenciamento de obras, e também na parte de sustentabilidade alinhada as práticas de Proteção ao Meio Ambiente, voltados ao segmento de saneamento ambiental, elaborando e executando projetos e obras de infraestrutura.

Vejo que ainda há um longo caminho de oportunidades e amadurecimento a ser trilhado no segmento da engenharia civil quanto ao seu valor de serviços, pois há ainda o

forte aspecto cultural da sociedade, em ser resistente na contratação de uma empresa especializada em engenharia ou de um engenheiro civil autônomo, que de fato têm as capacitações e responsabilidades técnicas adequadas para planejar e executar uma obra com tudo o que ela necessita ter, como: projeto estrutural, projeto elétrico, projeto hidráulico, dentre outros, tudo isso de forma bem criteriosa e que possa garantir muita segurança, pois para nós a segurança e tranquilidade do cliente e da sua família é primordial.

Imagine, depois que a sua casa estiver pronta, todos habitando, a casa está linda, pintada, mobiliada, do jeitinho que você almejou, até que alguns meses e/ou anos, os problemas começam a aparecer, como infiltrações, trincas, dentre outros. Isso pode virar um pesadelo.

Minha recomendação: “Contrate sempre serviços especializados de engenharia civil, com os profissionais experientes e que possam garantir o sonho da sua vida e da sua família.” Se você me der preferência, eu agradeço.

Como já dizia Clarice Lispector, “Quem caminha sozinho pode até chegar mais rápido, mas aquele que vai acompanhado, com certeza vai mais longe”, ou seja, ninguém é bemsucedido sozinho, e por isso temos na EngPlus Engenharia uma equipe de colaboradores e fornecedores de extrema competência e confiança. Hoje também temos parceria com vários fornecedores do Clube Decor e Casa, aumentando exponencialmente nossa escala de opções de produtos, serviços e principalmente de pontualidade, que hoje em dia é o conflito mais difícil de gerenciar, ainda mais para que possamos construir e entregar o imóvel dos clientes no prazo estimado, porém com os parceiros do Clube Decor temos um diferencial: qualidade e pontualidade.

Caso você deseje comprar ou construir sua casa, eu quero te ajudar, ou se você possui um terreno parado e queira fazer algum tipo de negócio, precisa de uma idéia, sugestão, projetos ou simplesmente quer construir um imóvel, eu quero te ouvir.

Não deixe de falar comigo: (11) 9.8682-1222 / romarli. engplus@gmail.com, o café é por minha conta, e o seu sonho não tem preço!

(11) 98917-3303

28
Siga-nos: clubedecorecasa
“Romarli Mendes, muito prazer! Sou uma construtora de sonhos.”

ENTRADA: 1KG DE ALIMENTO NÃO PERECÍVEL Itu

FESTA DAS VILAS

SET 24 E 25

Vem aí o festival que junta todas as vilas em um só lugar! Serão 2 dias de muita diversão, gastronomia, moda, arte, esportes radicais e muito mais!

Chácara do Rosário - Itu | festival_vilas

REALIZAÇÃO:

29 Pastéis da Vila Sto André • Itu

IMPLANTE! SEU MELHOR SORRISO DE VOLTA.

A falta de um dente incomoda demais, mas pode ser resolvida com rapidez e perfeição. As novas técnicas permitem o tratamento dos pacientes com muito menos traumas e invasividade. Implantes atuais são de alta tecnologia e as cirurgias podem ser totalmente guiadas por computador, com algumas durando menos de 40 minutos.

Agende uma consulta na SISO itu e confira por que somos referência em implantes, restituindo sua total capacidade de mastigação e deixando seu sorriso lindo. Na SISO itu, nós garantimos seu melhor sorriso de volta.

Agende sua consulta.

30 Rua Piauí, 167 • Bairro Brasil • Itu/SP (11) 4022-0442 / (11) 9 8231-8213 contato@sisoitu.com.br www.sisoitu.com.br Sisoitu sisoitu_odontologia Acesse o QR Code para visitar o site. HÁ
Ariza 1: Praça Lions, 42 - Chafariz - Itu (11) 4023-2898 / (11) 94076-3171
29 ANOS AMANDO O QUE FAZ! ® NUNCA FECHAMOS
Ariza 2: Rua Jose Bruni, 158 - Itu Novo Centro (11) 2429-6739 / (11) 99944-2941
32 IMÓVEIS
CONOSCO (11) 95825-2606 (11) 4023-6735 sampaioimobiliaria Sampaio Soluções Imobiliárias ENTRE EM CONTATO: www.sampaioimobiliaria.com.br Entre em contato
DE ALTO PADRÃO ANUNCIE

A mudança do sorriso no pós-pandemia

Conteúdo: Geiza Graciano | Fotos: Zeh Castedo

Importante para a manutenção da saúde bucal da população, o setor odontológico também é extremamente relevante para economia brasileira, movimentando bilhões de reais. Mesmo com os impactos da pandemia, os dentistas venceram as adversidades, passaram por grandes adaptações para se manterem competitivos no mercado.

Ao mesmo tempo, as tecnologias avançaram como nunca, contribuindo para um atendimento mais rápido e confortável. Os profissionais, por sua vez, têm privilegiado o serviço mais humanizado com pacientes cada vez mais preocupados não somente com a saúde bucal, mas também com o bem-estar. O sorriso nunca esteve tão em evidência após um longo período de tensão e incertezas.

Na região de Itu, dentistas que se reinventaram contam sobre os avanços e novidades para o setor, relembram as adversidades da pandemia e expectativas de futuro.

34
MatériadeCapa
MatériadeCapa

Avanços na saúde pública odontológica

Atecnologia odontológica tem sido realidade no setor público. Em Itu, o Centro de Especialidades Odontológicas (CEO) da Prefeitura conta com um aparelho rotatório direcionado ao tratamento endodôntico (canal). A tecnologia tem como foco aumentar o nível de segurança do preparo dos canais dos dentes, facilitar o acesso a canais mais difíceis e diminuir as falhas técnicas e limitações dos instrumentos manuais, beneficiando o paciente com um tratamento muito mais eficiente e com menores chances de recidivas.

“Outro benefício muito significativo, principalmente para a demanda do serviço público, é a diminuição do tempo de trabalho necessário para a instrumentação dos canais, que anteriormente era feita de modo manual”, explica a cirurgiã-dentista e coordenadora do serviço de Odontologia de Itu, Dra. Maíra Battisti.

O CEO ainda conta com a laserterapia de baixa potência que age através de uma luz que é irradiada por meio de uma ponteira no local de interesse. É um procedimento rápido e indolor. “No CEO utilizamos a laserterapia principalmente para as feridas bucais, para pacientes oncológicos com mucosite oral e para diminuição

da dor em processos inflamatórios que envolvem a boca e face”, ressalta a Dra. Maíra.

Durante a pandemia, com o isolamento social, os cuidados pessoais com a saúde bucal foram reduzidos, assim como os retornos para limpezas adiados. “Os principais problemas na condição bucal dos pacientes ainda continuam sendo a cárie e doença periodontal (doença no osso de suporte do dente). A procura pelo setor de próteses também aumentou significativamente neste ano”, lembra Dra. Maíra. Com este cenário pós-pandemia, as tecnologias, como o Aparelho Rotatório, têm papel importante na demanda reprimida.

Mesmo em meio à pandemia, o serviço público em Itu apresentou avanços com a abertura de dois novos consultórios odontológicos e a reforma de algumas Unidades, com aumento dos consultórios dentro das mesmas. Outra conquista importante em 2019 foi o início dos atendimentos odontológicos para pacientes com necessidades especiais no Hospital Municipal, sob anestesia geral, para aqueles que não permitem o atendimento ambulatorial. Somado a isso houve a informatização de todo o sistema de agendamento na área da saúde e a instalação do Prontuário Eletrônico que permite um atendimento odontológico integrado com os outros setores da saúde.

Em Itu, nas UBS’s são realizados os tratamentos de clínica geral: restaurações, raspagens, extrações dentárias e procedimentos preventivos, como selantes e aplicações de flúor, entre outros. A UBS 8 conta com Bebê Clínica, exclusiva para crianças de 0 a 6 anos. Já no CEO são atendidas as especialidades de Cirurgia, Endodontia, Periodontia, PNE - Pacientes com Necessidades Especiais, Estomatologia e Prótese Bucal.

36
Centro de Especialidades Odontológicas Rua Piauí, 302, Bairro Brasil - Itu/SP (11) 4025-2519
MatériadeCapa
A tecnologia tem sido uma grande aliada no atendimento público odontológico

Dra. Ana Paula Guimarães Coam de Toledo, Dra. Ana Paula Gun Araújo e Dra. Maíra Battisti

Zeh Castedo MatériadeCapa MatériadeCapa

Inovação e humanização no tratamento de Disfunção de ATM

Quem procura um atendimento odontológico está de alguma forma fragilizado. Afinal grande parte das idas ao dentista se dá pela presença de dor ou algum desconforto. Mesmo com o avanço da tecnologia e o acesso à informação muitos ainda têm aquele medo de dentista. E é aí que a humanização se torna imprescindível ao tratamento.

De Itu, Dra. Jocymara Amaral destaca também o atual momento e a necessidade de se sentir bem atendido. “Precisamos acolher o paciente, perceber exatamente sua queixa, ter empatia! O momento atual, pós-auge da pandemia, exige muito das pessoas no gerenciamento do estresse e, com certeza, faremos a diferença, olhando para nosso paciente desta forma”.

Dentre as queixas que levam muitos pacientes ao consultório, a Disfunção de ATM - conjunto de alterações clínicas que envolvem os músculos mastigatórios, a articulação temporomandibular (ATM) e estruturas anatômicas associadas e a Dor Orofacial (DOF), ocupam lugar de destaque. Os sintomas característicos são: dores na região dos ouvidos, dores nos músculos da face, cabeça e pescoço, barulhos articulares (estalos, crepitação).

Para diagnóstico é preciso uma anamnese detalhada, exame clínico e físico e exames de imagem. O tratamento da DTM/DOF é multidisciplinar e individualizado, de acordo com a especificidade do caso. Dentre os procedimentos odontológicos, estão: a prescrição de dispositivo intrabucal (placas oclusais, aparelhos ortopédicos funcionais), Laserterapia, viscossuplementação da ATM, orientação de autocuidado.

Outra preocupação com saúde e bem-estar é a busca pelo equilíbrio funcional do sistema estomatognático (cabeça e pescoço) que contribui para a harmonia facial, principalmente na fase de crescimento e desenvolvimento facial.

A Ortopedia Funcional dos Maxilares é a especialidade que tem sua terapêutica baseada nesse conceito e preconiza o uso do aparelho removível

Odontologia - Harmonia Saúde Alegria

Rua Luiz Gonzaga Bicudo 931, sala 506 - Vila Nova - Itu/SP

(11) 9.9463-7651 (WhatsApp)

funcional, durante o sono e em alguns horários específicos do dia, associado a exercícios, para tratar problemas relacionados às alterações das bases ósseas, causados por fatores hereditários, hábitos deletérios (chupeta, mamadeira, roer unhas) e bruxismo infantil, além de falta de espaço para a dentição permanente, estreitamento de arcada devido à respiração bucal.

A especialista ressalta os avanços da ciência como aliados no atendimento. “Não posso deixar de valorizar o equipamento de LASER na minha prática clínica. Ele é aplicado de forma específica e pode potencializar a ação do aparelho ortopédico funcional, com relação à bioestimulação óssea. Além de agir no foco da dor orofacial, também ajuda no processo de cicatrização de aftas, acelera o ciclo do herpes, tem ação analgésica e anti-inflamatória, melhora a hipersensibilidade dentinária, entre outras ações”, explica.

Dra. Jocymara é formada pela Faculdade de Odontologia de Ribeirão Preto-USP. Fez Residência em Odontologia Haospitalar, no HC-FM-USP, por 2 anos. De volta para Itu, iniciou sua trajetória em seu consultório e também fez parte da equipe do Serviço de Odontologia da Santa Casa de Itu, por quase 2 anos. É especialista em Ortodontia, Ortopedia Funcional dos Maxilares (OFM), Disfunção de ATM (DTM) e Dor Orofacial (DOF) e recentemente, Odontologia do Sono.

39
Matéria
A tecnologia contribui muito para a Odontologia, mas a humanização sempre será fator determinante para o sucesso do tratamento

Aparelhos invisíveis e os resultados sem comprometer a estética

Praticidade, estética e resultado. Os aparelhos invisíveis têm ganhado o mercado de tratamentos ortodônticos. Levantamento realizado pela Technavio, empresa de pesquisa e tecnologia, apontou que o uso de alinhadores cresceu quase 13% em todo o mundo entre 2018 e 2022.

Mais higiênicos são capazes de resolver os mesmos problemas do que os antigos conhecidos de metal. “O tratamento com Invisalign nos dá mais conforto, resultados mais rápidos e previsíveis do que os métodos tradicionais e sem comprometer a estética durante todo o tratamento”, diz a dentista Dra. Débora Vianna, especialista em alinhadores invisíveis.

Além disso, não interferem na fala do paciente que pode executar atividades diárias normalmente, sem se privar na escolha do que comer e beber, diferentemente dos aparelhos convencionais que demandam mais cuidados durante o dia.

Embora em alta, a dentista alerta para a importância do acompanhamento especializado. Na clínica Brentzel, onde atende, o planejamento é levado a sério tendo a tecnologia como aliada. “Tenho como responsabilidade utilizar essa tecnologia, a fim de transformar os

sorrisos de nossos pacientes. Já na primeira consulta, realizamos o escaneamento intra-oral (iTero) e nesse momento é possível simular o antes e depois para que possamos decidir o melhor tratamento para cada paciente. Sem dúvidas, a ortodontia digital veio para ficar!”, explica.

Indicado para crianças a partir dos 6 anos de idade, adolescentes e adultos, os alinhadores invisíveis é o que há de mais moderno e tecnológico na atualidade. No Brasil estima-se que atualmente cerca de 40% a 50% dos pacientes que usam aparelhos tenham idade superior aos 30 anos, conforme pesquisa da Associação Paulista de Ortodontia. O pós-pandemia também trouxe uma nova realidade. Depois de um período em que muitas pessoas ficaram longe dos consultórios dentários que atenderam em sua maioria emergência, a normalidade vai retornando, mas com novas necessidades e preferências.

De acordo com Dra. Débora, houve um aumento nos relatos de bruxismo e apertamento dentário causando além de desgastes dentários dores locais e difusas. Somado a isso tem percebido um aumento na procura por tratamento com Invisalign. “Um dos motivos principais é que esse tratamento tem um tempo menor do que o convencional, além de ser mais conveniente, e necessitar de menos visitas ao consultório”, ressalta.

A Dra. Débora Vianna é especialista em Ortondontia, Ortopedia funcional dos maxilares e alinhadores invisíveis (Invisalign). Com vasta experiência em São Paulo, chegou a Itu durante a pandemia com a família trazendo o que há de mais atual em ortodontia com todos os tipos de aparelhos e visando o melhor tratamento para cada paciente, assim como alinhadores Invisalign que oferecem tecnologia, estética e conforto.

Dra. Débora Vianna

Rua Rio de Janeiro, 90 - Bairro Brasil - Itu/SP

(11) 4025-4117 | (11) 9.4223-7041 (WhatsApp)

@dra.debora_vianna

40
MatériadeCapa
Tratamento com Invisalign garante conforto, resultados mais rápidos e previsíveis sem comprometer a estética
Zeh Castedo MatériadeCapa Dra. Débora Vianna
MatériadeCapa
Dr. Fábio Alarcon Idalgo

Doenças periodontais no pós-pandemia

Longe dos consultórios dentários e o emocional abalado, o pós-pandemia trouxe reflexos para a saúde bucal. Embora ainda não evidenciado em trabalhos científicos, o cirurgião-dentista e periodontista, Dr. Fábio Alarcon Idalgo, da Excelência Odontologia Especializada, de Itu, observou um aumento nos casos de doenças periodontais. “Sabemos dentro da nossa ciência que, diferentes fatores de risco, tornam a infecção com manifestações em diferentes níveis de gravidade. Com a mudança negativa do perfil bioemocional da maioria da população, provocada pelas diferentes medidas de aflição a que os indivíduos inevitavelmente foram submetidos, parece ter influenciado fortemente nesse contexto”, ressalta.

Doenças Periodontais são infecções que acometem o sistema de implantação e suporte dos dentes (osso, ligamento periodontal e cemento) e do tecido de proteção de todo este sistema, a gengiva. Geralmente são causadas pelo acúmulo de placa bacteriana. Quando afeta as gengivas é chamado de Gengivite e quando afeta os ossos provocando mobilidade dentária, Periodontite.

Embora com poucos sintomas aparentes, sinais clínicos podem se tornar evidentes como: sangramentos, inchaço, pus, mau hálito, dente mole, entre outros. “Para o tratamento, quando não houver uma intervenção preventiva em seus estágios iniciais, medidas curativas serão necessárias inevitavelmente em função do grau de comprometimento em que a lesão envolveu a região. Manobras chamadas de Raspagem, devem ser implementadas como terapia clínica para a eliminação das áreas de infecção”, explica.

Dr. Alarcon ressalta também que evidências clínicas podem passar despercebidos em exames clínicos de rotina, daí a importância do especialista em periodontia para realização de uma manobra clínica chamada sondagem. Sinais e possíveis sintomas devem ser observados e exames radiográficos complementares tornam-se obrigatórios para a

conclusão diagnóstica.

A área da Periodontia tem como atribuição também a aplicação de correções dos contornos gengivais em suas diversas características (retrações gengivais, enxertos, recontornos gengivais, correção de sorriso gengival, entre tantas outras) realizadas por meio de Cirurgias Plásticas Periodontais.

A Excelência Odontologia Especializada é uma clínica de referência em estética e saúde oral em Itu, com mais de 20 anos no mercado. Dentre os serviços oferecidos estão: Implantodontia, Dentística Restauradora, Cirurgia, Ortodontia, Endodontia, Prótese Dentária, Miofuncional e Clínica Geral.

Com atendimento humanizado, o paciente é acompanhado por cirurgiões-dentistas especialistas desde o processo de triagem, o que garante mais assertividade no diagnóstico e agilidade no tratamento. A equipe busca suprir seus clientes com as informações mais atualizadas. Desta forma, sentem-se seguros e passam a entender com com clareza os procedimentos pelos quais serão submetidos e seus reais resultados.

43
Excelência Odontologia Especializada Rua Marechal Deodoro, 447 - Centro - Itu | (11) 4022-3072 | (11) 9.7390-0787 (WhatsApp) www.excelenciaodonto.com.br
bioemocional
MatériadeCapa
Com o pós-pandemia temos percebido um aumento nas doenças periodontais, provavelmente influenciado pela mudança negativa do
perfi l

Odontologia digital e a garantia do sorriso perfeito

AOdontologia, assim como tudo, se modernizou e hoje estamos vivendo a Era da Odontologia Digital.

A tecnologia do sistema CAD/CAM, que é a abreviatura do inglês para Computer Aided Design (Desenho Assistido por Imagem - CAD)/Computer Aided Manufaturing (Manufatura Assistida por Computador – CAM), facilitou e agilizou todo o processo de planejamento e confecção de novos sorrisos.

Em Itu, o consultório Italiani Shiratori utiliza a tecnologia para o planejamento e confecção da reabilitação oral dos clientes. “Todo tratamento inicia-se com fotos e com o escaneamento da boca do paciente. O scanner intraoral capta as imagens dos dentes em 3D e estas são exportadas para um software específico no qual conseguimos desenhar tridimensionalmente uma faceta, uma coroa ou qualquer outro tipo de prótese. Desta forma, realizamos todo o planejamento do tratamento de acordo com as necessidades e desejos, em relação ao formato dos dentes, do paciente. Aqui, já é possível ter uma boa ideia de como será o resultado final do tratamento. Esta é a parte do CAD. Para a confecção das peças

protéticas, este software vai mandar as informações do projeto para uma máquina fresadora, a qual através de um conjunto de brocas, vai desgastando um bloco cerâmico ou de resina até chegar ao formato do dente projetado. Esta é a parte do CAM” explica o cirurgião-dentista, Dr. Fabio Kenji Shiratori.

O scanner facilitou muito o processo, pois não se tem mais a necessidade da utilização dos desconfortáveis moldes. Além disso, a imagem vai para uma nuvem, onde fica armazenada por até 20 anos como forma de documentação. “A fresagem da peça no próprio consultório agiliza todo o processo, então o que demoraria meses para fazer, pode ser feito em poucos ou até mesmo, em um único dia”, esclarece Dr. Fábio.

Além da agilidade no processo, também é possível garantir um sorriso natural. “Seja uma coroa, faceta ou lentes de contato, todos passam por um processo de maquiagem (pintura) para que fiquem semelhantes aos demais dentes. É um processo minucioso, mas que proporciona um resultado incrível. Claro que, sempre, tudo é feito de acordo com as necessidades e preferências de cada paciente”, ressalta.

Inaugurada em 2005 em Itu, a Clínica Italiani Shiratori do casal de dentistas Flávia Italiani Shiratori e Fábio Shiratori tem como foco oferecer um atendimento integrado, humanizado e personalizado. Ambos são formados pela USP - Faculdade de Odontologia de Bauru. No local também é oferecido tratamentos como: Clínica Geral, Facetas de Porcelana, Implantes Dentários, Harmonização Orofacial, Ortodontia, Prótese Dentária, Periodontia, Endodontia, e Odontopediatria.

44
Clínica Italiani
Rua Padre Bartolomeu Tadei, 534, Alto, Itu/SP | (11) 4023-2202 | (11) 9.7838-6363 (WhatsApp) www.italianishiratoriodontologia.com | @drfabiokenji e @italianishiratori.odontologia
MatériadeCapa
Shiratori
Velocidade e precisão na reabilitação oral hoje é possível graças à tecnologia
MatériadeCapa Dr. Fabio Kenji Shiratori
46
MatériadeCapa Dra. Carina Frare e Dr. Fabrício Frare

Pandemia e a alta demanda por urgências e emergências

Com a pandemia da Covid-19 e o isolamento social, grande parte da população deixou de ir ao dentista. A queda nos atendimentos odontológicos na rede privada chegou a mais de 60%. Sem realizar os procedimentos de rotina, a saúde bucal da população sofreu grande impacto ocasionando situações de urgências e emergências.

Em Itu, a Jodonto que é especializada nesse tipo de atendimento recebeu grande demanda. “Percebemos a grande procura da população por atendimentos de urgência naturais. Com o fechamento das demais clínicas por conta da pandemia esses pacientes vieram até nós”, comenta a cirurgiã-dentista, Dra. Carina D. T. Frare. Segundo ela, o mais significativo foi ter atuado no auxílio aos hospitais que na época estavam sobrecarregados.

Além disso, Dra. Carina destaca que a decisão de manter o consultório aberto também colaborou com as empresas, visto que durante a pandemia o absenteísmo (ausência no trabalho) foi fator preocupante devido à suspeita ou diagnóstico positivo para Covid-19 nos funcionários. “Decidimos manter o consultório aberto das 6h às 22h, inclusive aos sábados e domingos. Assim o funcionário com dor não precisava recorrer ao hospital ou então sair em horário de expediente. Este inclusive é um compromisso da Jodonto, atuar em auxílio às empresas”, ressaltou.

Casos de urgência e emergência podem ser percebidas pelos pacientes ao apresentarem: sinais de inchaço, sintomas de dor e estado febril, dificuldade ou comprometimento na alimentação, dor intensa, dificuldade ao abrir a boca e traumas. Todos esses sinais são indícios de que algo está errado e é necessário procurar atendimento imediatamente.

Dra. Carina explica a diferença entre urgência e emergência. Ambas causam situações que envolvem desconforto e dor, porém são considerados casos de emergência os mais graves que necessitam de assistência ime-

diata da equipe médica por ter risco potencial à vida. Já a urgência também traz risco à vida, mas um risco não iminente como o da emergência.

“As duas definições são sempre muito usadas para que caso aconteçam em um mesmo local de assistência seja dada preferência à emergência”, finaliza.

De qualquer forma, ela ressalta que urgências e emergências podem ser prevenidas mantendo em dia o tratamento, evitando assim complicações e assistência hospitalar. Associadas a lesões graves, gravíssimas com muita dor e risco à vida, essas situações também acontecem no agravamento de lesões que já existiam e poderiam ser evitadas com o tratamento anterior.

A Jodonto Odontologia está estabelecida em Itu desde 1985 e desempenha até hoje uma odontologia particular e empresarial. Com unidades em Itu e Sorocaba possuem uma equipe clínica preparada para os tratamentos regulares em odontologia, se destacando em atendimento de urgências em âmbito clínico e na devida condução aos serviços de emergência da cidade quando necessário.

47
Jodonto Odontologia Itu: Avenida Prudente de Moraes, 231, Vila Nova | (11) 4024-3097 Sorocaba: Rua Rodrigues Pacheco, 101 - Centro | (15) 3329-6340 | (15) 9.9145 8802 (WhatsApp) www.jodonto.com
Durante a pandemia a saúde bucal sofreu impacto, mantivemos atendimento e colaboramos com hospitais e empresas em urgências e emergências
MatériadeCapa

Conforto e eficiência dos implantes dentários

Para reabilitação do dente perdido ou extraído, os implantes dentários são hoje em dia a melhor opção. Seguros, desempenham a mesma função e aparência dos dentes naturais.

Em Itu, a clínica Odontologia Agrega realiza esse procedimento acompanhando os avanços tecnológicos. “O implante dentário tem como objetivo restabelecer função mastigatória e recuperação da autoestima. Com o procedimento é implantado um dispositivo de titânio no osso da mandíbula ou maxila, substituindo a raiz natural do dente, dando assim suporte para a prótese dentária”, explica a cirurgiã-dentista, Dra. Cintia Rezende.

O titânio é um metal não alergênico biocompatível, o que faz com que o sistema imunológico não o reconheça como invasor. O processo garante a total integração do osso e evita a ocorrência de infecções ou processos inflamatórios no organismo.

Indicado para os casos de perda dentária, total, parcial ou unitária, a cirurgia para colocação do implante é totalmente indolor, com indicação de medicação prévia.

Além dos materiais atualizados com o avanço da tecnologia, os procedimentos se tornaram mais rápidos e eficazes. A Agrega tem acompanhado essa evolução. Atualmente, a clínica conta com um aparelho de radiografia panorâmica, disponibilizando modernidade e conforto ao paciente, para assim ser realizado todo o tratamento em um mesmo local e sem custo adicional.

Recentemente também foi adquirido um scanner intra-oral, deixando o paciente livre do desconforto das moldagens. “Ele mesmo pode visualizar todos os preparos bucais a serem feitos na tela de um computador. Com o nosso aparelho utilizamos tecnologia

de ponta, isso significa um tratamento mais rápido e muito mais confortável”, explica.

Após um período crítico de pandemia, o consultório tem registrado um aumento no número de pacientes que também evidenciou a necessidade de se investir em equipamentos modernos para melhor atendê-los. Para o setor, a pandemia representou uma sequência de dificuldades e quebra de barreiras com rigoroso controle de bactérias e a assepsia, aliado à dupla jornada de trabalho. Neste momento, com mercado aquecido, a Agrega vê um futuro promissor com a tecnologia como aliada.

Com mais de 18 anos em Itu, a clínica Odontologia Agrega oferece um trabalho de excelência e comprometimento com os pacientes. O corpo clínico é abrangente, atendendo desde crianças até a melhor idade, com especialistas em: implantes dentários, próteses, ortodontia, endodontia, clínico geral, assim como a novidade em harmonização orofacial.

Mais do que tecnologia e enfrentar a adversidades, para clínica o maior segredo do sucesso é o atendimento e tratamento dos pacientes, baseados no respeito, carinho e atenção, por isso considera a maior propaganda, a indicação.

48
MatériadeCapa Odontologia Agrega Praça da Bandeira, 58, Centro - Itu/SP | (11) 4013-3735 www.odontologiaagrega.com.br | @odontologiaagrega O implante dentário restabelece o ato de mastigar e recupera a autoestima
MatériadeCapa Dra. Cintia Rezende MatériadeCapa Dra. Paula Alcarria

Odontologia e tecnologia: aliadas da harmonização

Uma das áreas que tem conquistado cada vez mais espaço no mercado odontológico, a harmonização orofacial se mostra um excelente nicho para os cirurgiões-dentistas. Para se ter ideia, de 2016 a 2020, o uso de procedimentos injetáveis teve aumento de 24,1% no Brasil. Somente em 2020, mais de 600 mil procedimentos de harmonização foram realizados.

Em 2019, o Conselho Federal de Odontologia (CFO) reconheceu a harmonização orofacial como especialidade da odontologia. Segundo a legislação responsável por regulamentar a odontologia no Brasil (Resolução – CFO – 198/2019), o cirurgião-dentista tem o conhecimento necessário de face para realizar o procedimento.

“A harmonização orofacial é responsável pelo equilíbrio entre a relação estética e funcional no rosto e sorriso do paciente. Com os procedimentos é possível corrigir as assimetrias e melhorar proporções faciais. É um trabalho que contribui para a saúde do paciente ao mesmo tempo que melhora sua autoestima”, comenta a cirurgiã-dentista, Dra. Paula Alcarria.

Ela explica que antes da realização do procedimento é realizada uma análise das estruturas da face e sorriso, levando em consideração as principais queixas do paciente. “Primeiramente realizados a anamnese para conhecer a história médica e odontológica do paciente, posteriormente fazemos uma avaliação clínica para realizar um planejamento do tratamento a ser realizado”, explica Dra. Paula. Dentre os procedimentos de harmonização, o botox está entre os mais procurados e tem como foco diminuir a contração dos músculos e rugas dinâmicas, cujos resultados duram de 4 a 6 meses. Outro procedimento é o preenchimento que devolve o volume e faz pontos de

Rua Carolina Lucca Vaz, 396 - Sala 10 - Itu Novo Centro - Itu/SP

(11) 9.1551-1410 (WhatsApp) | @dra._paulaalcarria

sustentação facial, é indicado para rugas estáticas e o resultado tem duração de 9 a 24 meses.

Segundo a dentista, independentemente do uso ou não de máscara durante a pandemia estamos em um momento em que as pessoas prezam muito pela estética da face como pelos dentes. Inclusive, pesquisas apontam que durante o isolamento social chegou até mesmo ter um aumento na procura por procedimentos estéticos principalmente na região do rosto. O chamado “efeito zoom” desencadeado pelas videochamadas fez com que as pessoas dessem atenção a partes do rosto que não agradavam.

Em contrapartida, quando o ideal é ir ao dentista a cada 6 meses, a pandemia fez com que as pessoas deixassem de dar atenção à saúde bucal acarretando doenças periodontais e cáries. Para ela, este é um momento de avanço para o setor de odontologia que tem tido uma procura maior alinhando a necessidade de cuidados com a saúde bucal à busca pela autoestima.

Instalado em Itu, o consultório da Dra. Paula Alcarria realiza procedimentos de limpeza, restaurações, exodontias, clareamento, endodontia, próteses, implantes e aparelhos. Na área de harmonização facial realiza botox, preenchimento e bioestimuladores.

51
MatériadeCapa
Em constante crescimento, a harmonização orofacial busca alinhar estética e sorriso do paciente

Odontologia Estética e a elevação da autoestima

Para além do aspecto físico, ter uma boa aparência aumenta a autoestima e o emocional das pessoas. Não é à toa que os procedimentos estéticos estão no topo dos desejos dos brasileiros, refletindo na odontologia. Nos últimos três anos, a Odontologia Estética cresceu mais de 300% no Brasil, segundo a Sociedade Brasileira de Odontologia e Estética (SBOE). Isso coloca o país no terceiro lugar do ranking mundial.

Clareamento dental, restaurações estéticas, lentes de contato e facetas de porcelana são os procedimentos utilizados para deixar aquele sorriso branquinho. Segundo a cirurgiã dentista, Dra. Patrícia A. Lucca, lentes de contato são as mais procuradas. “Porém nem sempre são indicadas, por isso a avaliação e planejamento para cada paciente se faz necessária”, ressaltou.

As lentes de contato podem ser indicadas para pacientes que necessitam de pequenas correções estéticas. “Apesar de haver grande propaganda sobre estes tratamentos serem feitos sem desgaste, isso só ocorre numa minoria de casos, menos de 5%. A maioria requer sempre algum desgaste de dente natural para se obter os resultados desejados de posição, tamanho e cor”, explica Dra. Patrícia.

Em caso mais simples três sessões são suficientes, sendo uma inicial para diagnóstico e planejamento, com exames radiográficos. Uma segunda onde o paciente tem uma prévia do sorriso e se aprovado pode ser iniciada adequação dental (preparos) e moldagem digital através de scanner intraoral ou analógico.

Moldagens e registros são encaminhados ao laboratório para confecção das lentes em porcelana. Logo após é realizada a terceira consulta para prova das peças e cimentação.

Para Dra. Patrícia, a tecnologia tem sido uma grande aliada da Odontologia facilitando a vida do dentista e do paciente que tem a possibilidade de saber como ficará o resultado, além dos planejamentos

digitais. “Sem dúvidas houve um avanço muito grande, a começar pelo famoso motorzinho do dentista. Atualmente existe o elétrico provocando menos ruídos e vibrações”, lembra.

Os avanços seguem para as resinas disponíveis no mercado atual de excelente qualidade, compostas por tecnologia GIOMER diferenciados no aspecto bioativo e com resultados clínicos excepcionais, capazes de produzir resposta biológica específica na interface do material. O RX digital também é realidade, dispensando o uso de filmes convencionais e processo de revelação em câmera escura para obter uma imagem. Permite um armazenamento digital, maior qualidade de imagem e consequentemente melhor diagnóstico, além de menor exposição à radiação.

No pós-pandemia em que muitos deixaram a saúde bucal de lado, o setor de Odontologia Estética aliado à tecnologia só tem a ganhar. Ainda mais após a liberação do uso das máscaras. Quem não quer ter um sorriso perfeito?

Dra. Patricia A. Lucca é formada pela Universidade Paulista (UNIP), especializada em ortodontia pela APCD, e aperfeiçoamento em odontologia estética. Atende na clínica do dr. Marcos Furlan que é especializada em ortodontia, próteses, implantodontia, harmonização orofacial, clínica geral e odontologia estética.

52
MatériadeCapa
Com a Odontologia Estética aliada à tecnologia podemos realizar o planejamento do sorriso antes mesmo dele ser executado
MatériadeCapa Dra. Patricia A. Lucca
Castedo
MatériadeCapa
Zeh
Dra. Renato Villin Prado

A importância da adaptação à Odontologia Digital

Osorriso perfeito hoje tem como aliada: a tecnologia. As inovações já utilizadas nos consultórios estão evoluindo colaborando para a entrega de um serviço cada vez melhor e mais personalizado para cada paciente. A pandemia também trouxe novas necessidades e algumas ferramentas ganharam destaque.

Em Itu, a Siso tem investido constantemente para o aprendizado de novas tecnologias e também para a aquisição de novos produtos e equipamentos que possibilitam a utilização desses conhecimentos. A clínica tem sido renovada anualmente para cumprir com esses ideais.

“A odontologia como ciência não para de evoluir, a exemplo de outras áreas da medicina; as inovações tecnológicas são inúmeras e cabe aos profissionais acompanharem estas evoluções! É inconcebível um dentista que não domine o campo da informática, desde a interpretação tomográfica até a utilização de sistemas CAD/CAM, impressoras 3D e escaneamento intraoral”, ressaltou Dr. Renato Villin Prado. Dentista há 36 anos, especialista em estética há mais de 30 anos e implantodontista há 27 anos, sempre acreditou que uma odontologia de qualidade só pode ser oferecida por uma equipe de profissionais e especialistas bem entrosados e atuando de forma conjunta.

Especialização e equipamentos têm garantido um sorriso saudável e esteticamente perfeito. “Atualmente utilizamos planejamento virtual dos tratamentos ortodônticos a partir de exames de última geração, como as tomografias computadorizadas cone-beam e o escaneamento intraoral, aliados a programas de computador e softwares específicos permitem que tratamentos com alinhadores estéticos, nacionais e importados garantam resultados extremamente satisfatórios e previsíveis com o máximo de conforto”, ressalta.

E é possível aprovar virtualmente o novo sorriso. O Dental Smile Design (DSD) permite isso, facilitando a comunicação entre profissional e

paciente. Aliado aos sistemas de prótese por impressão 3D e CAD/CAM, a conclusão de trabalhos acontece muitas vezes no mesmo dia.

Inclusive o virtual se tornou vital durante a pandemia, mas limitou o setor que necessita do contato presencial entre especialista e paciente. Com o isolamento social houve redução drástica de pacientes. “Mas desde o segundo semestre do ano passado, quando as pessoas começaram a se sentir mais seguras, o que experimentamos foi um verdadeiro “boom” na procura por pacientes que estiveram recolhidos em suas casas e sem tratamentos”.

Além disso, isolamento social produziu uma onda de casos de fratura dental, bruxismo e apertamento dental. Ansiedade e estresse foram algumas das consequências trazidas pela pandemia capazes de afetar a saúde bucal.

Fato é que o setor de odontologia não parou com a pandemia, pelo contrário, se reinventou e a rotina vem lentamente sendo restaurada.

A clínica Siso Itu Odontologia se dedica à reabilitação oral, com diagnóstico de todas as patologias e desordens orais de um paciente, propondo soluções coordenadas para tratamento integral de cada caso. Dentre os serviços oferecidos estão: dentística restauradora, endodontia, periodontia, implante, próteses de todos os tipos e estética.

55
Siso Itu Odontologia Rua Piauí, 167 - Bairro Brasil - Itu | (11) 4022-0442 | (11) 98231-8213 (WhatsApp) www.sisoitu.com.br | @sisoitu_odontologia
A odontologia como ciência não para de evoluir e cabe aos profissionais acompanharem estas evoluções
MatériadeCapa

Osorriso abre portas, aproxima pessoas, melhora o humor, a felicidade e a autoestima. Pesquisas comprovam que sorrir libera neuro-hormônios, tal como a endorfina que traz inúmeros benefícios para o corpo e a mente.

A busca por um sorriso belo e harmonioso é crescente em nossa sociedade e, atualmente, a odontologia tem inúmeros recursos para que tal objetivo seja alcançado e ainda de forma rápida e precisa.

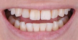
Hoje, através de equipamentos de ponta, é possível transformar o sorriso em poucos ou até mesmo, em um

único dia. “Conseguimos oferecer aos nossos pacientes um tratamento de altíssima qualidade num tempo muito curto. Nossa clínica dispõe de toda a tecnologia digital existente no mercado, tal como escâner intraoral, impressora 3D, fresadora de cerâmica e laboratório próprio, o que resulta num tratamento bastante preciso e rápido”, pontua Dr. Fabio Kenji Shiratori.

No caso apresentado acima, seis lindas coroas de porcelana, foram confeccionadas de um dia para o outro, transformando assim o Sorriso da paciente.

Aponte a câmera do seu celular para o código QR e acompanhe nosso perfil no Instagram!

56 Transformando Sorrisos
restaurações cerâmicas em poucos ou até em um único dia! Clínica Italiani Shiratori Rua Padre Bartolomeu Tadei, 534, Alto, Itu/SP (11) 4023-2202 | (11) 9.7838-6363 (WhatsApp) www.italianishiratoriodontologia.com @italianishiratori.odontologia
com

Balão Intragástrico: um grande aliado no combate à obesidade

OBalão Intragástrico (BIG) nada mais é do que um balão de silicone maleável que é colocado no estômago por endoscopia. É uma excelente alternativa minimamente invasiva aprovada pela ANVISA como tratamento da obesidade.

Por que o BIG gera perda de peso?

Por ocupar espaço no estômago ele reduz a quantidade de comida que você pode ingerir e prolonga a sensação de saciedade. Como é realizado o procedimento de passagem do BIG?

Ele é inserido no estômago por meio de um procedimento ambulatorial endoscópico com cerca de 30 minutos. Uma vez colocado, o balão é insuflado com uma solução estéril.

O que acontece depois do procedimento?

Após a passagem do balão os pacientes são liberados para casa devendo seguir um programa dietético. Estudos apontam que o balão gera uma perda de peso média de 10,2% do peso corporal.

Por quanto tempo vou ficar com o BIG?

Isso depende do tipo de balão, o tempo varia de 6 a 12 meses. Sendo que esse período deve ser individualizado para cada paciente.

Sou candidato para passagem do BIG?

A idade mínima recomendada para implante de balão é de 12 anos, não existindo uma idade máxima. O índice de massa corpórea (IMC) mínimo para o implante do balão é de 25. Para calcular seu IMC basta dividir seu peso pela altura ao quadrado.

Existe alguma contraindicação para colocação do BIG?

Sim, as principais são úlceras gástricas ativas, cirurgia gástrica prévia, varizes gástricas ou esofágicas, hérnia hiatal de grande proporção e o uso de anticoagulantes.

Qual é o próximo passo?

Agende uma consulta.

58
Guilherme Oliveira
9.2779-5010 | (11) 9.1080-6964 dr_guilherme_gastro
(11)
drguilhermehpoliveira.com.br
Clínica
Avenida Plaza, 6 – 5º andar, sala 512,
(11) 2429-8707 | (11) 9.4779-5010
Da Vinci Medicina Integrada
Jardim Paraíso
Itu/SP
O destino perfeito para a família! ranchobkr | 11 98266-6034 | 11 99669-9022 | Porto Feliz - SP Agende sua aula conosco!
Sorting Em Porto Feliz, venha conhecer e praticar o Uma modalidade de esporte equestre que chegou com tudo no Brasil e agora conta com um Centro de Treinamento completo a 1 hora da capital! O Rancho BKR conta com clínicas especializadas, Ranch Day, Treinamento e Hospedagem de animais!
Ranch
60 www.pedropetry.com atelierpedropetry

PERSONA

Setembro Amarelo: informação como forma de prevenção

Salvar vidas e prevenir o suicídio. Este é o objetivo da campanha Setembro Amarelo. Um tema delicado, mas que precisa ser falado. Afinal, o suicídio é uma das três principais causas de morte entre pessoas de 15 a 44 anos. Estima-se que anualmente um milhão de pessoas morrem por suicídio no mundo. A cada 45 segundos alguém tira a própria vida.

Para falar sobre o tema convidamos a psiquiatra, dra. Maria Alice Sobreira.

Acredita que o Setembro Amarelo colabora com a disseminação de informação?

É uma oportunidade de falar abertamente sobre este tema e lembrar o quanto é importante ser solidário ao sofrimento alheio. Um olhar atento e uma escuta sem julgamentos, pode salvar vidas. Falar sobre o tema faz com que se possa reconhecer os indícios e evitar as consequências devastadoras.

O transtorno bipolar é uma das doenças psiquiátricas com maior índice de suicídio. Poderia explicar do que se trata e como pode ser realizado o seu tratamento?

Exatamente, para se ter uma ideia, o risco é o dobro da depressão clássica e quem sofre desta doença tem 30 a 60 vezes mais risco de tirar a própria vida do que a população geral. Quase metade das pessoas com transtorno bipolar tenta suicídio ao longo da vida.

O transtorno é menos comum do que a depressão clássica e, portanto, pouco falado. A doença consiste em fases de alterações no humor do indivíduo, que podem alterar seu comportamento, seus impulsos, seu sono e que não correspondem à personalidade daquela pessoa. Transtorno bipolar não é uma característica, é uma doença.

Na prática, o diagnóstico não é tarefa simples, pois a apresentação

clínica pode ser muito semelhante à da depressão e o que vai diferenciar será uma análise cuidadosa da história do paciente realizada pelo psiquiatra.

O tratamento deste transtorno é feito com uso de medicações, tratamento psicológico e até eletroconvulsoterapia.

Existem sinais perceptíveis que podem indicar um maior risco para o suicídio?

Sem dúvidas. O primeiro e mais importante é ter tentado suicídio previamente. Dar atenção especial à essa pessoa é uma das principais estratégias de prevenção. O segundo é ser portador de um transtorno mental, como: depressão, transtorno bipolar, transtorno por uso de substâncias, esquizofrenia. O terceiro é ter ideação suicida, quando a pessoa coloca a morte como única solução de seus problemas. O risco de concretizar o ato é considerável.

Personalidade impulsiva também é uma característica. Viver sozinho, ter passado por fatores estressores de vida, como perda de entes queridos, de emprego, divórcios, problemas financeiros. Portadores de doenças crônicas como câncer, HIV, dor crônica também apresentam maior risco. Atenção especial deve ser dada aos extremos de idade - adolescentes e idosos, sobretudo quando há sinais de alguma doença mental.

Eventos adversos na infância e adolescência, como abusos físicos, sexuais, suicídio na família também causam impactos muito negativos e maior risco de suicídio. E, por fim, acesso a meios letais (armas de fogo, cordas, alturas, medicações em grande quantidade) e organização de despedidas, por exemplo, cartas de despedida, discursos como “caso não nos encontraremos de novo”, “caso um de nós não esteja mais aqui...”

62 persona

Como a Psiquiatria pode colaborar com quadros que possam desencadear suicídio?

O psiquiatra tem o papel de proteger a vida de seu paciente, assim como as demais áreas médicas. A partir de uma escuta atenta e empática do sofrimento daquela pessoa, se traça um plano de tratamento que envolve a participação ativa do paciente e, muitas vezes, de seus familiares ou rede de apoio. O tratamento pode envolver uso de medicamentos, tratamento psicológico e, em casos mais graves, pode haver a necessidade de internação.

Com a pandemia e o isolamento social percebeu aumento de transtornos mentais?

Sim, há dados da OMS indicando aumento de cerca de 25% nas taxas de prevalência de ansiedade e depressão em todo o mundo. É notável o aumento da busca pelo psiquiatra, inclusive por pessoas que nunca haviam realizado um tratamento psiquiátrico antes.

No entanto, essa informação deve ser analisada com cautela, pois o aumento nos diagnósticos pode se dever à maior procura. Acredito que nunca se fora discutido tão amplamente sobre saúde no geral, aumentando o conhecimento da população.

Porém, ainda encontramos alguns desafios a serem superados: os mitos sobre tratamentos psiquiátricos, a minimização ou invalidação do sofrimento de quem está doente e a escassez de acesso das pessoas aos cuidados em saúde mental.

Dra. Maria Alice Sobreira

Salto: Rua Bélgica, 271, Jardim Celani, Salto/SP

São Paulo: Clínica Tellure - Rua Domingos de Morais, 2187 - Bloco Paris - Sala 701

dramariaalicesobreira.com.br (agendamentos pelo Doctoralia)

63 Persona
64 Áreas de atuação Consultivo e Contencioso Tributário • Assessoria Jurídica Empresarial • Fiscal • Contábil • Societária • Auditoria • Pareceres • Revisão • Recuperação • Compensação (11) 5102-3755 contato@fernandesnadalucci.adv.br www.fernandesnadalucci.com.br Av. Nova Independência, 87, conj. 83/84, Centro Empresarial Berrini - São Paulo/SP Filial: Av. Plaza, 06, Conf. 208, Condomínio Campus Offices - Itu/SP
evoluir
servir
NOVA SEDE EM ITU!
‘‘Trabalhando sempre para
e
melhor!’’
65 SOMOS DE NOVO Selo Ouro EXCELÊNCIA E HUMANISMO NO TRATAMENTO DO CÂNCER Acompanhe nossas novidades em NO PROGRAMA DE QUALIFICAÇÃO DE PRESTADORES DA UNIMED SALTO ITU Rua Euclides Marins e Dias, 102 (11) 2715-7215 oncoitu.com.br ou leia o QRcode aqui!

com todo cuidado necessário para deixar seus itens pessoais e casa como novos!

66 Ecológica Lavand
Somos a MAIOR
ia
Sistema
SEGURANÇA COM NOSSO MANTENHA A SUA E CONFORTO Mantenha seu conforto com nosso S tema Deliv y S tema Deliv y Lavanderia Ambienthal | lavanderiaambienthal Rua Rui Barbosa, 815 - Salto/SP | (11) 9.9628-2480 | (11) 9.9628-2483 Lavagem de TapetesLavagem de Tapetes Lavagem de CortinasLavagem de Cortinas Higienização HigienizaçãoEstofadosde Estofadosde
Lavanderia Ecológica
D elivery
60 mil m² de área verde; Chalés individuais telados com solário; Confortáveis instalações exclusivas para cães de pequeno porte; Suítes especiais de 30 m² com ventilador de teto e câmeras para visualização remota; Áreas de passeio arborizadas e totalmente cercadas; Programação recreativa exclusiva; Dog Day Care; Transporte porta a porta em veículos climatizados. 11 4022-5277 | 11 99968-4729 AQUI O SEU CÃO SE SENTE EM CASA! HOTEL FAZENDA PARA CÃES Clube de Cãompo Hotel Fazenda para Cães | ClubedeCaompo www.clubedecaompo.com.br | sac@clubedecaompo.com.br Rod. D. Gabriel Couto, Km 95 (SP-300 estrada ItuJundiaí) - Itu/SP

M550L MODELO

O quadriciclo equipado para você enfrentar qualquer desafio!

• Protetores de mãos e espelhos retrovisores;

• EPS - direção elétrica com assistência variação e amortecimento de impacto;

• Encosto e apoio de mãos para o passageiro - mais segurança e conforto;

• Porta objetos com tampa;

• Suspensão traseira IRS com curso de 240mm;

• Suspensão dianteira MacPherson com curso de 210mm;

• Altura livre do solo 260mm e maior distância entre os eixos.

• Capacidade para 2 pessoas.

PRESTAMOS SERVIÇOS DE MANUTENÇÃO EM QUADRICICLOS DE QUALQUER MARCA COM SISTEMA LEVA E TRAZ . CONTATE-NOS

ITUANA MOTO-NÁUTICA

(11) 4013-8199 | (11) 99105-8181

quadriciclos_itu | Quadriciclos Adventure Itu

Rua Floriano Peixoto, 323, Centro - Itu/SP - CEP 13.300-005

69

SAÚDE BUCAL PARA TODOS!

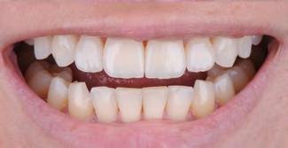
A Odontologia está em constante evolução e tem se adaptado às mudanças do mundo. Para a foto de capa desta edição escolhemos um local aberto a toda população ituana para cuidar da saúde bucal: o Centro de Especialidades Odontológicas (CEO). Inaugurado em 2021, o local conta com inovações tecnológicas que são oferecidas gratuitamente aos cidadãos.

No CEO, a Revista Singular reuniu dentistas da região das mais diversas especialidades, evidenciando a amplitude da Odontologia. Profissionais que deixaram de ser procurados apenas para solucionar a dor de dente e hoje são responsáveis por também garantir a autoestima.

Nosso agradecimento especial à Prefeitura de Itu que nos autorizou a entrada e aos profissionais do CEO.

Fotos - Zeh Castedo

Conteúdo - Geiza Graciano

70
Bastidores

Transtorno Opositor, Transtorno Disruptivo da Desregulação do Humor e TDAH, qual a relação entre eles na avaliação Neuropsicológica nas Crianças e Adolescentes?

pode ser feito quando os sintomas persistirem por mais de seis meses e ocorrem em diversos ambientes.

Embora os sintomas do transtorno de oposição desafiante ocorram com frequência em crianças com transtorno disruptivo da desregulação do humor, os sintomas do humor do transtorno disruptivo da desregulação do humor são relativamente raros em crianças com transtorno de oposição desafiante. As característicaschave que justificam o diagnóstico de transtorno disruptivo da desregulação do humor em crianças cujos sintomas também satisfazem os critérios de transtorno de oposição desafiante são a presença de explosões graves e frequentemente recorrentes e uma perturbação persistente no humor entre as explosões.

Além do mais, mesmo para as crianças em que os critérios para ambos os transtornos são satisfeitos, somente o diagnóstico de transtorno disruptivo da desregulação do humor deve ser estabelecido. Ou seja, sintomas dos TOD ou TDDH podem ser confundidos com o Transtorno do Déficit de Atenção e Hiperatividade devido à sua agitação e instabilidade no comportamento, embora não se descarte a possibilidade de haver comorbidade entre eles.

Por isso é importante que ocorra avaliação precocemente, pois com a avaliação neuropsicológica podemos avaliar as funções cognitivas que são esperadas para o diagnóstico em TDAH como atenção e funções executivas, somada às escalas, testes de personalidades, e ainda anamnese com os pais e cuidadores para avaliar o risco para o TOD e para o TDDH.

Conheça Letícia Oliveira - Graduada em Psicologia – CEUNSP Itu, especialista em Neuropsicologia - USF Campinas e pós-graduando em Neuropsicologia Aplicada ao Transtorno do Espectro Autista –CBI of Miami.

Segundo o DSM o Transtorno Opositor Desafiador, mais conhecido como TOD, é conhecido como sintomas relacionados à alta frequência em perder a calma, presença de sensibilidade, raiva ou ressentido, se mostra questionador, incomoda outras pessoas, culpa terceiros por seus erros, além de presença de agitação e se mostra vingativo.

É importante ressaltar que o diagnóstico deve ser realizado com muito cuidado em crianças e adolescentes, pois tais sintomas podem ser normais naquela fase, ou seja, o diagnóstico de TOD

“Atualmente realizo avaliações psicológicas e neuropsicológicas em consultórios particulares nas cidades de Salto, Indaiatuba e Sorocaba em crianças, adultos e idosos”.

Letícia Oliveira - CRP 06/160185

psico.leticia | _lleeticiadepaula psico.leticia

72
Mais informações 11 4025-2901 Rua Professor José B. Gonçalves, Rua Professor José B. Gonçalves, 309 - Itu, SP 309 - Itu, SP info@branta.com.br info@branta.com.br

A importância da Assessoria Jurídica aos Profissionais Liberais

Oinstituto da Responsabilidade Civil é um instrumento de grande importância no direito privado, que assegura a proteção do consumidor, ou seja, é toda ação ou omissão que gera violação a uma norma jurídica legal ou contratual, nascendo assim a obrigação de reparar o ato danoso.

Dando continuidade à esta edição nº 84 da Revista Singular, ressaltamos a importância da atuação do advogado na relação entre o profissional liberal e o consumidor.

Isso porque, recentemente, o Instituto de Ensino e Pesquisa (Insper), constatou que, houve um aumento expressivo de 130% na demanda judicial que envolve a área da saúde, entre os anos de 2008 a 2017, se comparado ao crescimento de apenas 50% nas demais esferas judiciais.

Este contraponto, demonstra a necessidade de atuação de advogados especializados que possam auxiliar na confecção de contratos e termos de consentimento e responsabilidade, objetivando alertar aos pacientes, acerca dos procedimentos envolvidos, bem como, dos riscos a eles implicados, de modo, a resguardar a eventual responsabilização do profissional liberal, que no presente caso, é subjetiva, em outras palavras, a apuração de culpa deve estar caracterizada.

Assim, demonstrando que o consumidor acompanhou as fases e aprovou os procedimentos realizados através do termo de consentimento e responsabilidade, estando ciente dos riscos envolvidos, o profissional liberal pode comprovar que não houve negligência, imprudência e imperícia no serviço prestado.

Nesse contexto, a ministra Nancy Andrighi da Terceira Turma do Superior Tribunal de Justiça, esclareceu que a obrigação de meio, no caso dos profissionais liberais, limita-se a um dever de desempenho, isto é, há o compromisso de agir com técnica e perícia para alcançar um determinado fim, mas sem se obrigar à efetivação do resultado.

Inclusive, os progressos tecnológicos, também podem ser utilizados como meio de proteção jurídica aos profissionais liberais, uma vez que trouxeram meios para que os consumidores possam avaliar de uma maneira mais realista o resultado, antes mesmo da realização de fato dos procedimentos.

Por fim, conclui-se pela importância de buscar a assessoria jurídica especializada, a fim de se resguardar os direitos do profissional liberal e dos consumidores envolvidos.

74 1
Fernando Rodrigues Advogados Associados Rua Pernambuco, 270 - Bairro Brasil - Itu/SP | (11) 4022-8046
75 2 Atendimento: de segunda a sexta-feira, das 8h às 18h www.frodriguesadv.com.br Amanda
478.161
Moura | Advogada | OAB

Conheça os métodos contraceptivos de longo prazo

Temos os seguintes tipos de LARC:

- Dispositivo intrauterino (DIU) de cobre;

- Dispositivo intrauterino (DIU) de cobre e prata;

- Sistema intrauterino (SIU) com hormônio (progesterona);

- Implante hormonal subdérmico (também de progesterona).

O DIU e o SIU são pequenos dispositivos (3-4 cm de comprimento) inseridos dentro da cavidade uterina e as principais diferenças entre eles são:

Tempo de utilização: 5 ou 10 anos para o DIU de cobre e 5 anos para o DIU de prata e SIU medicado com hormônio.

Ciclo menstrual: a usuária do DIU de cobre geralmente mantém seu ciclo menstrual regular (mensal) enquanto que com o SIU há uma possibilidade alta de não menstruar durante o tempo de utilização do método.

Custo: o custo inicial do SIU medicado com hormônio é geralmente maior que o do DIU de cobre, porém, eventuais benefícios secundários como ausência da menstruação e cólicas associadas podem compensar ou suplantar esta diferença inicial.

Já o Implante Contraceptivo Subdérmico é um pequeno tubo alongado de cerca de 4cm inserido logo abaixo da pele, geralmente na face interna do braço. O fato dele ser superficial permite, na maioria das vezes, a própria paciente sentir a sua presença no local ao palpar com os dedos. A duração do modelo atualmente disponível comercialmente no Brasil é de 3 anos. O custo inicial se assemelha ao do SIU medicado com hormônio e há também a possibilidade de a paciente ficar sem menstruar durante o tempo de utilização do método.

Consulte seu ginecologista para ver qual método será mais indicado para você.

LARC é uma sigla em inglês para “Long-acting reversible contraceptives”, o que em tradução livre significa “Métodos Contraceptivos Reversíveis de Longa Duração”.

Estes têm sido muito valorizados e utilizados por mulheres de todo o mundo. Devido à sua facilidade de utilização (não requer uma rotina de uso diária/semanal/mensal), alta eficácia (>99%) na prevenção da gestação não planejada (lembrando que nenhum método é 100% eficaz) e longa duração de uso. Podem ser utilizados por mulheres de todas as idades, sendo excelente para adolescente devido à praticidade e tempo de duração.

Em nosso consultório dispomos de todos os métodos e utilizamos anestesia local para inserção dos mesmos.

76
Ginecologia e Obstetrícia Avenida Plaza 6, Conjunto 406, Jardim Paraíso (Edifício Campus Office) – Itu/SP (11) 2429-8600 | (11) 2429-8700 | (11) 9.4078-5657 (WhatsApp) @drabeatriz
Dra. Maria Beatriz Pedroso de Arruda
77 A EVOLUÇÃO DA CULTURA BILÍNGUE. Unidade Itu. Agende uma visita. colegioprogresso.com.br @progressobilingueitu @progressobilingueitu Progresso é para sempre!

coworking da área da saúde na região! 1°

Somos o primeiro Coworking da área da saúde e espaço clínico compartilhado para profissionais da área da saúde na região! Com salas amplas e climatizadas, banheiros privativos e recepção, contando com 2 salas de espera sendo uma para pacientes e outra para profissionais aguardarem seus atendimentos.

Salas completas com a infraestrutura que vc precisa, armários macas e carrinhos, internet, fácil estacionamento com segurança e copa completa. Ficamos localizados em um bairro nobre em Itu, com lindos jardins na área externa, lugar calmo e tranquilo onde você recebe seus pacientes com segurança e harmonia!

Planos de banco de horas mensais, período ou semanais, com valores diferenciados, sem burocracia pagando apenas pelas horas usadas!

NOSSOS DIFERENCIAIS!

Horário de Funcionamento:

De segunda a sexta-feira das 8:00h às 21:00h

Sábados das 8:00h às 18:00h

Aos domingos: Locação do espaço para cursos e grupos de até 15 pessoas! Um ótimo espaço para palestras, encontros e reuniões!

Conheça o espaço e confira!

Entre em contato: (11) 91103-2020

Rua Porto Alegre 409 Bairro Brasil

COWORKING MÉDICO

80

Experiência gastronômica fantástica!

Sabor, Experiência e Ousadia!

O “divot” é uma imersão ao universo gastronômico, é uma vivência única para os apaixonados por sabores.

Um cardápio em 4 tempos que oferece a possibilidade de harmonização com vinhos e espumantes.

Faça a sua reserva e conheça o Divot!

Quinta-feira a sábado A partir das 19h30, reservas antecipadas.

ESCANEI E NOSSO
Empresa do Grupo (11) 4403-8323 - Whatsapp (11) 940.245.399 Integrante do Grupo BELEZA, SOFISTICAÇÃO & QUALIDADE BELEZA, SOFISTICAÇÃO & QUALIDADE CONHEÇA NOSSA LINHA DE CHOPEIRAS CHURRASQUEIRAS A GÁS

2030: Como as maiores tendências de hoje vão colidir com o futuro de todas as coisas e remodelá-las

Um guia extraordinário para as mudanças que estão por vir e um exercício de “pensamento lateral”, revolucionando, assim, a maneira como você pensa sobre a mudança cataclísmica e suas consequências.

LEITURA

O caminho dos reis

Do autor best-seller nº 1 do New York Times, Brandon Sanderson, a obra chega ao Brasil. Roshar é uma terra de tempestades furiosas. A história se divide entre diferentes pontos de vista, em diversos pontos desse mundo chamado Roshar. O ponto de partida da trama é o assassinato do rei dos Alethi, orquestrado por um povo rival conhecido como Parshendi.

Sobre a Terra somos belos por um instante

Considerado um dos maiores poetas da atualidade, Ocean Vuong apresenta uma verdadeira carta de amor e confissão com as experiências do autor como imigrante vietnamita nos Estados Unidos. Suas lembranças são apresentadas como cartas direcionadas para sua mãe, que sendo analfabeta, nunca poderá ler suas palavras.

84

SOCIAL

baile de posse da oab

O escritório Clementino Advocacia prestigiou no último sábado (27) o Baile de Posse da OAB. Realizado no Itu Plaza Hotel, o grandioso evento contou com jantar e banda onde puderam celebrar este importante momento com os demais colegas advogados. À nova diretoria empossada, o escritório deseja muito sucesso!

85

O que leva uma empresa a ter dificuldades financeiras

e até falir?

Aposto que a primeira resposta que vem à mente é: a falta de clientes.

Sim, é fato! Sem clientes uma empresa não sobrevive, mas, a falta de dinheiro no caixa no momento certo é quase tão prejudicial como não ter clientes... só que essa informação muita gente desconhece e o sonho de ter um negócio próspero acaba sendo prejudicado.

Com a correria diária é comum faltar tempo para todas as atividades importantes de uma empresa, porém, se você quer garantir uma gestão financeira do CAIXA eficiente, é imprescindível não deixar de acompanhar de perto as obrigações a pagar e a receber hoje, nos próximos dias e semanas. Só assim é possível saber o que vai acontecer no curto e médio prazo e poder planejar ações para diminuir os impactos e reduzir os custos.

Não quer dizer que por ter sobra de Caixa que há Lucro. E, também não é porque a empresa tem um Lucro contábil, que há CAIXA para pagar as obrigações no momento certo. Este é o ponto central da vantagem de uma gestão financeira correta.

Para ter uma gestão eficiente do CAIXA é importante que você conheça o seu negócio e saiba quais são os fatores que mais impactam nos resultados.

Todos os dias uma empresa realiza movimentações financeiras e o caixa pode mudar rapidamente. Por isso, não adianta olhar para ele apenas no fim do mês, quando a situação já pode ter saído do controle. O acompanhamento deve ser frequente, diário e semanal, e prever, pelo menos, um planejamento a curto prazo.

Aponte a câmera do seu celular para o código QR e faça o download do e-Book Gestão do Caixa.

Quer conhecer mais sobre Gestão de Caixa, visite nossas redes sociais e baixe o E-Book “Como fazer Gestão do Caixa da APTHO”.

Nós descomplicamos a gestão financeira do seu negócio!

Aptho Gestão

(11) 4022-0340

apthogestao

www.apthogestao.com.br

86
publinegócios
Lumen ENSINO FUNDAMENTAL COLÉGIO Vagalume BERCÁRIO E INFANTIL ESCOLA @vagalumelumen SIGA NOS RUA DO PATROCÍNIO, 332/352 CENTRO - ITU/SP 11 4013-3508 11 4013-3377 11 99722-2106 BERÇÁRIO • EDUCAÇÃO INFANTIL • ENSINO FUNDAMENTAL EDUCAÇÃO FINANCEIRA PROGRAMA BILÍNGUE AULAS DE MÚSICA AULAS DE ROBÓTICA EMBARQUE E DESEMBARQUE AGENDE UMA VISITA! Ser aluno Vagalume/Lumen faz toda a diferença!

Neuropsicologia e o tratamento de problemas cognitivos

Um estudo das relações entre o cérebro e o comportamento/ cognição, este é o foco da Neuropsicologia, um dos ramos da psicologia que correlaciona aspectos fisiológicos e estruturais do cérebro humano, como anatomia, processos mnemônicos, linguagem e capacidade atencional, com a análise das emoções, comportamentos e percepções do indivíduo.

Em Itu, a neuropsicóloga, Dra. Luísa Patrício Carneiro, realiza atendimentos em psicoterapia individual, seguindo as abordagens da Neuropsicologia e Terapia Cognitivo-Comportamental. Um olhar mais aprofundado de fatores biológicos, sem que haja detrimento das interpretações próprias da psicologia.

Dentre as funções da Neuropsicologia estão: avaliação, investigação e criação de hipóteses para desenvolvimento de plano de tratamento para o paciente, podendo ser tratados: transtornos de aprendizagem, lesões cerebrais, doença de Parkinson e Alzheimer, entre outras deficiências cognitivas que interfiram nos relacionamentos interpessoais.

Graduada em Psicologia e em Direito e pós-graduada em Neuropsicologia pelo Instituto Israelita de Ensino e Pesquisa Albert Einstein, Dra. Luísa também possui experiência prática no contexto forense devido ao tempo de estágio no Escritório de Advocacia Carneiro Sociedade de Advogados, estabelecimento onde atualmente presta serviços de assessoria relacionados às demandas psicológicas de clientes.

É fluente na língua inglesa, nível avançado na língua espanhola e intermediário na língua francesa, sendo também frequentadora das aulas em curso de libras (língua brasileira de sinais). Sempre em busca de atualização profissional, dra. Luísa preza pela qualidade no atendimento e inclusão.

Rua Santa Cruz, 646, Centro - Itu/SP

(11) 9.6194-7416 (WhatsApp)

88

Design e acabamento impecável para tornar seu ambiente mais moderno.

Quadros em diversos estilos no tamanho e acabamento que você escolher. Agora

FICAM SÓ OS BONS MOMENTOS

molduraminuto.itu

(11) 9 3734-2656

mm.itu@molduraminuto.com.br

Av. Adolfo Augusto Pinto, 94

Itu Novo Centro - Itu

molduraminuto.indaiatuba

89
também em Indaiatuba

Ultrassom pelo celular

Grávidas poderão acompanhar crescimento do feto pelo celular. Engenheiros do Massachusetts Instituto of Technology (MIT), nos Estados Unidos, desenvolveram dispositivo adesivo do tamanho de um selo postal que captura imagens contínuas que poderão ser transmitidas por aplicativo. Tecnologia também poderá observar a progressão de tumores e diagnóstico de doenças.

TECH

Novo Headset da JBL

A JBL apresentou o novo headset gamer da marca. O Quantum 610 se destaca pela bateria de longa duração que promete autonomia de 40 horas. O acessório possui áudio espacial e drivers de 50mm, com conexão via cabo de áudio ou redes sem fio e Bluetooth. O modelo tem preço sugerido de R$ 1.299.

Wi-Fi mais veloz

Previsto para 2024, a Intel prepara o lançamento do Wi-Fi 7, um novo padrão que tende a ser duas vezes mais rápido do que o Wi-Fi 6E. A nova tecnologia primeiramente deverá ser aplicada em notebooks de última geração, sendo expandida posteriormente para outros tipos de aparelhos.

90
KARTÓDROMOKI KIARENADEITU EXPERIMENTE A SENSAÇÃO DE SER UM PILOTO DE VERDADE, AGENDE AGORA SUA CORRIDA! VENHA CONHECER O KARTÓDROMO DE ITU! @kartodromoitu Rua Paulo Donaio Schincariol, 1300 ACESSE O QR CODE e tenha acesso a todas infos. 11 97276-4333

35 anos DE HISTÓRIA!

As três gerações da família contam sua história atravéz do restaurante Cavichioli, onde construíram seu patrimônio com muita dedicação e amor!

Por meio da comida caseira e preparada com carinho, a família Cavichioli passou a fazer parte do dia a dia de diversas famílias ituanas, se tornando um símbolo da cidade e agregando sabor na vida de seus clientes.

“Agradecemos a Deus por fazer parte da história dessa cidade ao longo destes 35 anos em que servimos o povo ituano e de toda a região.”

DELIVERY

95 AV. DR. HERCULANO DE GODÓI PASSOS, 591 - SÃO LUIZ, ITU RESTAURANTECAVICHIOLI
11 93009.6293

EVENTOS

Confira os eventos que acontecem na região

Vintage Culture

Data: 24 de Setembro

Local: Uzna – Sorocaba/SP

Jota Quest

Data: 06 de Setembro

Local: Clube de Campo – Sorocaba/SP

Guns N’ Roses

Data: 24 de setembro

Local: Allianz Parque - São Paulo/SP

Dua Lipa

Data: 08 de Setembro

Local: Centro de Convenções - Distrito Anhembi São Paulo/SP

*Os eventos estão sujeito à alterações devido a pandemia da Covid-19

98

ja conhece o pilao

o

Almoço de segunda à sexta, das 11h30 às 15h, com pratos brasileiros, além de uma opção nordestina e uma vegetariana; Pratos típicos a la carte, porções, sobremesas e bebidas todos os dias; Deliciosa feijoada aos sábados; Atrações musicais, com forró, samba, sertanejo e rock, além de apresentações de standup.

pilaoitu

Informações: (11) 95080-6052

Endereço: Rua Madre Maria Basília, 951 - Vila Nova (no estacionamento do Unicenter) - Itu

Dra. Jocymara Amaral

Faculdade de Odontologia de Ribeirão Preto - USP

ESPECIALIDADES

• Disfunção de ATM

• Dor Orofacial

• Laserterapia

• Odontologia do Sono

• Alinhadores Invisíveis

(11) 99463-7651 Odontologia - Dra. Jocymara - Dr. Milton

Edi ício Hélio Ste en Filho - R. Luiz Gonzaga Bicudo, 931 Sala 506 - Vila Nova, Itu/SP

99
ja conhece
culinaria nordestina? culinaria nordestina?
pilao
dra.jocymara@gmail.com harmonia.saude.alegria
Ortopedia Funcional dos Maxilares

A Magrass é a maior rede de Clínica Estética e Emagrecimento Saudável da América Latina. O programa de tratamento é exclusivo e totalmente personalizado, elaborado pelo conceituado, e referência quando o assunto é nutrição no Brasil, Dr. Paulo Muzy. Respeitamos a história de cada cliente em tratamento!

100 dra.patricialucca | Rua Santa Rita, 1601 - Centro, Itu/SP Dra.
(11)
96479-2727 Trazemos a solução para os mais diversos casos em uma clínica completamente equipada para melhor atendê-lo. X Agende um horário: • Implantes • Ortodontia • Harmonização Facial • Próteses • Reabilitação • Facetas e coroas em porcelana • Lentes de contato • Clareamento (11) 4022-1142 Emagrecer e natural!
Patricia:
93318-0624 | Dr. Marcos: (11)
procedimentos estéticos de resultados acompanhamento nutricional produtos home care alimentos exclusivos Magrass aplicativo completo
magrassitusp Resultados comprovados!
(11) 99843-0009

Matriz: (15) 99145 8802

R. Rodrigues Pacheco, 101 - Centro, Sorocaba - SP

Desde 1985 cuidando do sorriso da sua família!

ESPECIALIDADES

• Clareamento Dental;

• Dentísta;

• Endodontia;

• Implante Dental;

• Próteses Dentárias;

• Periodontia;

• Urgência Clínica.

aproxime a câmera do celular:

Filial: (11) 99618 2671 | (11) 4024 3097

Av. Prudente de Morais, 231 - Vila Nova, Itu -SP

(15) 99145 8802

LEIA ONLINE

Aponte a câmera do celular para o QRCODE

101
PELO ISSUU

Saúde e Estética em um só lugar!

Nosso tratamento é feito com muito amor, deixando seus pés e mãos sempre saudáveis!

Podologia Preventiva Esportiva Geriátrica Pés Diabéticos Manicure Express

Laserterapia

Coleta de exames micológico e cultura de

11 91316 - 0158 | mika.nails.brasil Rua Carolina Lucca Vaz, 396 - Sala 6 - Itú Novo Centro - Itú/SP

REFERÊNCIA EM ESTÉTICA E SAÚDE ORAL NA CIDADE DE ITU-SP.

Se destaca por oferecer um trabalho de qualidade baseado na credibilidade dos seus diretores, dentistas com mais de 20 anos de experiência no mercado e por reunir um corpo clínico com profissionais pós-graduados, em nível de especialização e mestrado, conceituados nas seguintes especialidades:

• Periodontia (gengiva);

• Cirurgia;

• Dentística Restauradora (restauração estética);

• Implantodontia.

(11) 4022-3072 | (11) 97390-0787

• Endondontia (canal);

• Prótese Dentária (reabilitação protética, estética e funcional);

• Ortodontia (aparelho);

Rua Marechal Deodoro, 447 - Centro - Itu, SP

102 C M Y CM MY CY
Correção de Unhas com Órtese Reflexologia fungos Alongamento em Fibra de Vidro

Lash Designer há 5 anos com certificações nacionais e internacionais, mentora de mais de 500 alunas na cidade de Itu e região. Destaque no ramo, o Studio conta com 4 profissionais com atendimento de terça á sábado.

DayanneBrun

LashDesignerhá5anoscomcertificações nacionaiseinternacionais,mentorademais de500alunasnacidadedeItueregião. Destaquenoramo,oStudiocontacom4 profissionaiscomatendimentosdeterçaá sábado.

(11)9.9691-1994

RuaPadreBartolomeuTadei,105Centro-Itu/SP

(11) 9.9691-1994

LashDesignerhá5anoscomcertificações nacionaiseinternacionais,mentorademais de500alunasnacidadedeItueregião. Destaquenoramo,oStudiocontacom4 profissionaiscomatendimentosdeterçaá sábado.

(11)9.9691-1994

Rua Padre Bartolomeu Tadei, 106 Centro - Itu/SP

RuaPadreBartolomeuTadei,105Centro-Itu/SP

103
DayanneBrun
StudioEspecialistaemExtensãodeCílioseFormaçãodeLashDesigner FioaFio Brasileiro
Vol.Híbrido
Vol.Russo MegaVolume
@dayannebrun
@dayannebrun
Vol.Russo
obra Pisos e pedras Vidros Manutenção residencial Personal Organizer OS MELHORES SERVIÇOS PÓS-OBRA E PÓS MUDANÇA! fat_ventura | www.w impezas.com.br w mpezas@w impezas.com.br (11) 98896-8870 26 anos de bons serviços!
Pós
Antes Depois

A HIPNOTERAPIA PODE TE AUXILIAR NA MELHORA DOS SINTOMAS DE:

ESTRESSE

Acorda cansado, irritabilidade, dores, dificuldade para dormir, mudança no apetite, desinteresse sexual.

ANSIEDADE

Preocupação excessiva, medo constante, insônia, tensão muscular, crise de pânico.

DEPRESSÃO

Desânimo, desinteresse, tristeza, pensamentos negativos, falta de energia.

Entre em contato: (11) 9 8330 3003 | lusantosterapia

TRATAMENTO DA FISIOTERAPIA PÉLVICA NA DOR NA RELAÇAO SEXUAL E NO VAGINISMO

Sentir dor na Relaçao sexual não é normal e além de ser algo extremamente desconfortável, impacta diretamente na nossa libido! O sexo deve ser um momento de relaxamento e prazer e se você sente algum tipo de desconforto deve sinalizar o seu parceiro (a) e buscar a ajuda profissional.

O vaginismo é uma contração involuntária da musculatura do nosso assoalho pélvico que dificulta ou impossibilita a entrada no canal vaginal. Essa incômodo não deve estar presente durante um exame ginecológico ou a introduzir um coleto vaginal e nem atrapalhar em momentos de prazer como a masturbação ou a penetração.

As dores na relação podem ter diversas causas que vão desde possíveis infecções vaginais, passando por um musculatura pelvica tensa até traumas físicos e psicológicos.

A dor na penetração em especial é uma queixa comum de muitas mulheres. Independente da origem é muito importante que você não se acostume com a dor e procure por um diagnóstico e tratamento corretos. Se você sente dor nessas situações, busque ajuda de uma fisioterapeuta pélvica!

(11) 99574-4848 | fisiopatriciatolentino | pattolentino@icloud.com

Rua Boa Vista, 136 - Bairro Brasil - Itu/SP - Sala 06

104

ENVELHECIMENTO MASCULINO

O aumento da expectativa de vida do brasileiro tem trazido cada vez mais problemas relacionados às alterações hormonais do envelhecimento que alteram significativamente a qualidade de vida.

A deficiência androgênica é a diminuição da produção do hormônio masculino, a testosterona, que acontece devido ao envelhecimento natural, e eventualmente em idades mais precoces.

Os sintomas mais comuns muitas vezes são difíceis de se identificar e ocorrem de forma insidiosa, dificultando o diagnóstico e muitas vezes tido como “normal” do envelhecimento. Esses sintomas são: dificuldade de ereção, falta de concentração, declínio do interesse sexual, irritabilidade, insônia, entre outros. Por isso a avaliação e seguimento frequente podem prevenir o aparecimento desses sintomas e suas consequências e o urologista é o profissional capacitado para diagnosticar e tratar, muitas vezes com a reposição do hormônio masculino.

4013-8060

105
Rua Bahia, 41 - Bairro Brasil, Itu/SP drthiagocury
Marque sua consulta: (11) 9 6302-0282
Thiago Cury CRM 157167
profissionais
CONTABILIDADE possibilita
nos processos internos da sua empresa, mantendo o foco na informação e análise gerencial, ganhando competitividades e agilidade. Área Contábil | Área de Legalização Gestão Administrativa | Área Fiscal Área Previdenciária e Trabalhista
Jd. Convenção
Itu|SP contato@gisacontabilidade.com.br www.gisacontabilidade.com.br
Dr.
Com
capacitados, o GISA
uma otimização
11
Rua Arsênio Benedetti, 82 -
-

O

(11) 99548-0753

PARCERIA A TODO VAPOR!

106
FAZER SEU EVENTO COM A GENTE, junto a natureza em um ambiente amplo e arejado.
Noivados Outros
(11) 94220-8965 pesqueirochapeudesol
VENHA
Aniversários Batizados Casamentos Confraternizações
VENHA CONHECER NOSSO LINDO ESPAÇO. arenagalileu Rua Felipe Nagib Chebell, 225, Itu/SP
LUGAR
DIVERTIR
COMEMORAR!
PERFEITO PARA TREINAR, SE
OU
Em parceria com a Academia de Futebol CX, oferecemos aulas de futebol para crianças de 3 a 17 anos . Venha conhecer!

“A CRIANÇA TEM ESPAÇO E TEMPO PARA PENSAR E SER LIVRE”

OFICINAS PROPOSTAS:

apoiadas na Cultura Maker

EDUCAÇÃO FINANCEIRA CULINÁRIA MINDFULNESS ARTES CURIOSIDADES INTERNACIONAIS

Trabalhamos com vários planos: DIÁRIAS | PLANOS SEMANAIS PLANOS MENSAIS (3X POR SEMANA, 5 X POR SEMANA)

107
(11) 4022-4365 CASA CURIOSA ITU RUA DOMINGOS FERNANDES, 60 CENTRO - ITU (próx. ao Hotel Santa Rita e Padaria Pão Quente)

CINEMA

orfã 2: a origem

Nesta prequela ao filme original de 2009, depois de orquestrar uma brilhante fuga de uma clínica psiquiátrica da Estônia, Esther viaja para os Estados Unidos se passando pela filha desaparecida de uma família rica que procura uma menina por quatro anos. Após ser acolhida pela nova família, “Esther” começa a mostrar suas reais intenções com o pai e a mãe “biológicos”. Esther começa a ser vigiada por um detetive, que fará tudo para mostrar à família que a menina não diz ser quem é de verdade, colocando em risco a nova identidade da órfã.

MEN - FACES DO MEDO

Após uma tragédia pessoal, Harper (Jessie Buckley) decide ir sozinha para um retiro no meio de um belo campo inglês, na esperança de encontrar um lugar para se curar. Mas alguém ou algo da floresta ao redor parece estar perseguindo ela. O que começa como um pavor fervente se torna um pesadelo, habitado por suas memórias e medos mais sombrios.

a mulher rei

Nanisca (Viola Davis) era a comandante do exército do Reino de Daomé, um dos locais mais poderosos da África nos séculos XVII e XIX. Durante o período, o grupo militar era composto apenas por mulheres, entre as guerreiras está a filha de Nanisca, Nawi (Lupita Nyong’o), juntas elas combateram os colonizadores franceses, tribos rivais e todos aqueles que tentaram escravizar seu povo e destruir suas terras.

108
As principais estreias para Setembro
Estreia dia 15 de setembro de 2022 Estreia dia 22 de setembro 2022 Estreia dia 08 de setembro de 2022
109
110
Lopes, a maior rede imobiliária
América
chegando
Itu Av. Prudente de Moraes, 536 - Vila Nova, Itu www.lopes.com.br lopesimoveis.rubi
Rubi
da
Latina está
em
Rubi

Turn static files into dynamic content formats.

Create a flipbook
Issuu converts static files into: digital portfolios, online yearbooks, online catalogs, digital photo albums and more. Sign up and create your flipbook.