
Director: Tulio Alexsis Chávez Toro
Ferrocarril Lima-Barranca se conectará con Líneas 2, 3 y 4 del Metro de Lima y Callao


Quíntuple choque en Ventanilla deja dos menores heridos
Fiesta gastronómica en el callao


![]()

Director: Tulio Alexsis Chávez Toro
Ferrocarril Lima-Barranca se conectará con Líneas 2, 3 y 4 del Metro de Lima y Callao


Quíntuple choque en Ventanilla deja dos menores heridos




Se romperá récord con 50 metros de nuestro plato bandera y 2.000 porciones gratuitas
contará con integración
El Ferrocarril Lima - Barranca revolucionará el sistema de movilidad en nuestro país, y es que también se integrará con las líneas 2,3 y 4 del Metro de Lima y Callao a través de estaciones de intercambio, así lo anunció el Ministerio de Transportes y Comunicaciones (MTC), mediante la Autoridad de Transporte Urbano para Lima y Callao (ATU).
El MTC emitió un comunicado donde explica que este ferrocarril, que se extenderá a lo largo de 245 kilómetros, funcionará a través de un sistema de tráfico mixto, que está diseñado para el transporte de pasajeros y mercancías, con la finalidad de mejorar la conectividad y el desarrollo económico en la zona de influencia.
¿Cómo será la conexión?
Esta conexión fortalecerá el Sistema Integrado de Transporte (SIT), y comenzará en el cruce de las avenidas Atalaya y Guardia Chalaca, cerca de la estación Puerto del Callao de la Línea 2 del Metro de Lima y Callao. Posteriormente, avan-


zará por avenidas estratégicas como Néstor Gambeta, Carlos Izaguirre y Canta Callao, pasando por la Panamericana Norte, donde enlazará con la futura estación Huandoy de la
se contempla un ramal de conexión con el Metropolitano en la estación Chimpu Ocllo antes de continuar hacia Barranca. El nuevo sistema ferroviario beneficiará en total a más de 12.5 millones de ciudadanos ofreciendo una reducción significativa en los tiempos de viaje, en accidentes y congestión vehicular.
Las investigaciones en torno al caso de corrupción más sonado de los últimos años en el Perú, Los Cuellos Blancos del Puerto, siguen tomando giros importantes con el reciente levantamiento del secreto de las comunicaciones del actual ministro de Justicia y Derechos Humanos, Eduardo Arana. Esta medida, tomada por el Poder Judicial, busca esclarecer el papel del ministro en la presunta red de corrupción que infiltraba el sistema judicial peruano, y que involucra a jueces, fiscales y empresarios en un entramado delictivo que operaba en el Callao y otras regiones del país.
El caso Los Cuellos Blancos del Puerto se destapó tras la difusión de una serie de audios

en los cuales altos funcionarios del Poder Judicial y del Consejo Nacional de la Magistratura discutían favores judiciales a cambio de favores personales, un acto que ha salpicado a varias figuras públicas de renombre, incluidos jueces y exfuncionarios judiciales. La red operaba de forma compleja, utilizando contactos dentro de las esfe-
ras judiciales para influir en decisiones que favorecieran a quienes pagaran por ello. Una de las figuras más relevantes en esta investigación es Walter Ríos, expresidente de la Corte Superior de Justicia del Callao, quien actualmente cumple una condena de 12 años de prisión tras haberse acogido a la colaboración eficaz. Se le ha implicado en una serie de negociaciones ilícitas con empresarios y otros actores del sistema judicial, lo que ha generado una serie de líneas de investigación que incluyen a Arana.
Eduardo Arana se encuentra ahora en el centro de la investigación tras una revelación clave: una conversación telefónica con Walter Ríos en 2018.
5 Tulio Alexsis Chávez Toro Director

Ventanilla: diez personas fueron rescatadas con vida en la playa Costa Azul
La Policía de Salvataje dio a conocer que en lo que va de enero se han rescatado a 10 personas de la playa Costa Azul, en Ventanilla, colocándose por debajo de de otras con cifras alarmantes, como es el caso de la playa San Pedro, en Lurín donde se rescataron 64 veraneantes; seguida por Punta Negra con 34; playa Arica, en Lurín (31); Cerro Azul en Cañete (21); Playa Chica en Santa Rosa y playa Los Yuyos en Barranco (19); playa Las Sombrillas en Barranco (13) y playa Los Pulpos en Lurín (12). Cabe señalar que, de todos los rescatados, 230 eran varones adultos y 93 niños, así como 68 mujeres adultas y 52 niñas.
En reiteradas ocasiones, los salvavidas o rescatistas recuerdan a los bañistas la importancia de respetar el código de banderas. Estas son de color: -Verde: indica condiciones de calma

en el mar y aguas consideradas seguras para nadar, sin embargo, siempre es importante mantener mantener el cuidado debido.
- Amarilla: señala un “peligro medio” en la playa, con condiciones de oleaje y corrientes moderadas. Cuando esta bandera está izada, se recomienda que las personas que no sepan nadar o naden poco se abstengan de entrar al agua, mientras que los demás deben tener mayor precaución.
- Roja: indica peligros significativos como fuertes oleajes y corrientes. Se recomienda a todos los nadadores no ingresar al mar, aunque aquellos que decidan hacerlo deben actuar con extrema cautela y bajo su responsabilidad.
Aplena luz del día, alrededor de las 4:30 de la tarde, se registró un ataque armado contra una combi de la ruta Lima-Callao, que cubre el trayecto desde Avenida Argentina hasta Jirón de la Unión. El incidente ocurrió cerca de la Avenida Elmer Faucett, frente al nuevo centro comercial Market Dollar City, un área muy transitada por vecinos y comerciantes.
Según los primeros reportes, se observaron cuatro impactos de bala en el vehículo de transporte público, tres de ellos visibles en la parte frontal y uno más por el costado. Afortunadamente, no se reportaron heridos en este acto delincuencial, aunque la escena generó gran alarma entre los testigos. El ataque responde a un acto de extorsión, una problemática que sigue acechando al primer puerto. Los cobradores de la línea de transporte han recibido amenazas y advertencias, presuntamente de parte de extorsionadores extranjeros que exigen pago de cupos, de lo contrario tomaron medidas que incluyen homicidios, si no acceden a sus demandas. Ante la intimidación de la que vienen siendo

víctimas, los trabajadores de la línea de combis han anunciado que estarían tomando medidas en reunión
eSe apropiaron de fondos públicos

para generar un alza de precios en sus pasajes por el riesgo que corren bajo esta amenaza.

Este hecho es otro más en una serie de actos ilícitos que ocurren a plena luz del día en zonas del Callao, donde la extorsión continúa ganando te-
La sentencia fue lograda por el Primer Despacho de la Fiscalía Provincial Corporativa Especializada en Delitos de Corrupción de Funcionarios del Callao condenó a dos exfuncionarios de la Municipalidad del Callao y diez trabajadores del Fondo de Inversiones (FINVER CALLAO) por los delitos de colusión

agravada y peculado en agravio del Estado.
La Fiscalía comprobó
ante el Poder Judicial que los servidores públicos cometieron irregularidades en la ejecución de seis obras del Primer Puerto para apropiarse de los fondos públicos destinados a pagos de trabajadores fantasmas.
rreno. Los vecinos y trabajadores de la zona claman por una intervención más decidida por parte de las autoridades para frenar la creciente ola de violencia que afecta tanto a los ciudadanos como a los transportistas.

Las condenas
El exjefe de la Unidad de Obras de FIVER, Jorge Luis Maguiña Cabello, el exgerente de Ingeniería de FINVER, Luis Alberto Tardillo Carrasco; y el residente de obra de FINVER, José Héctor Gálvez Acuña, recibieron 14 años de cárcel
En tanto, el entonces
inspector de obra del municipio, Edwin Silva Moreano, fue sentenciado a 8 años de prisión, mientras que el exjefe de obra de FINVER, Ernesto Ramos Torres, y otro inspector de obra de la municipalidad llamado John Nación Torres, fueron condenados a 7 años de cárcel.
Un quíntuple choque ocurrido en la avenida Néstor Gambetta, a la altura del asentamiento humano Villa Moto, dejó como saldo dos menores heridos y una intensa congestión vehicular en la zona. Personal de la Policía Nacional, bomberos, el grupo BOES y el serenazgo del distrito acudieron al lugar para brindar asistencia a los afectados. El accidente se produjo cuando un vehículo de carga pesada, con placa BKC-784, impactó violentamente contra una camioneta negra, desencadenando una colisión en cadena con otros tres vehículos. Testigos indicaron que uno de los heridos es un menor de aproximadamente 8 años y otro, un bebé de solo meses de nacido, quienes fueron trasladados de emergencia a un hospital cercano. Los residentes de la zona manifestaron su preocupación por la alta incidencia de accidentes en este tramo de la vía, señalando que la falta de semáforos, los rompemuelles son muy pequeños y las pistas se encuentran en mal estado. Según reportaron, en un accidente anterior, al me-
eA la altura del asentamiento humano Villa Moto

nos 10 personas perdieron la vida. Asimismo, denunciaron la presencia de un puente abandonado que impide el cruce seguro de los peatones.
e Se recogieron diez casquillos de bala

Jaisen Aronde, conductor de uno de los vehículos impactados, relató lo sucedido: “Yo estaba escuchando música cuando el camión
Un hombre identificado como Rusell Quiroz Marcilla perdió la vida tras recibir múltiples disparos en la calle Los Geranios en Boterín. Ante ello, el Cuarto Despacho de la Décima Segunda Fiscalía Provincial Penal Corporativa del Callao y el equipo médico-legal comunicó que vienen realizando la necropsia del cadáver de la víctima.
Como parte de las pri -

meras diligencias, la Fiscalía y efectivos de la PNP buscaron cámaras de seguridad y testigos en el lugar del crimen para identificar a los autores del hecho. Asimismo, recogieron diez casquillos de bala y tres proyectiles para realizar las pericias balísticas.
Joven recibió 12 baLazos en boterín La madrugada de este
venía golpeando un auto por detrás, luego impactó contra un auto plomo y una camioneta Ford, que fue la que chocó contra mi vehículo. Yo estaba
acompañado de mi hija y mi esposa. Apenas bajé del carro, lo primero que hice fue verificar que mi familia estuviera bien. La familia de la camioneta negra estaba afectada y fueron llevados al hospital”.
Aronde también indicó que, según información preliminar, el conductor del tráiler se encontraba en aparente estado de ebriedad.
Tras el choque, la Policía y los bomberos lograron retirar el camión y restablecer parcialmente el tránsito. El conductor del vehículo de carga pesada fue trasladado a la dependencia policial de Ventanilla, donde se determinarán las responsabilidades del accidente.

jueves 30 de enero se registró otro hecho de sangre, que acabó con la vida de Rusell Quiroz Marcilla en la calle Los Geranios, en el asentamiento humano José Boterín, en el Callao. Según los testigos que se encontraban en el lu -
gar, el joven se encontraba parado con su celular en la mano en un puesto donde venden pollo broaster cuando un sujeto lo abordó y le propinó hasta 12 disparos que le habrían caído en el cuerpo y en la cabeza.
eVíctimas son menores de edad
En la madrugada de hoy, se registró una feroz balacera en el distrito de Ventanilla, específicamente en el asentamiento humano Angamos, cerca de las conocidas “Tres Curvas”. Testigos presenciales, un grupo de amigos se encontraba reunido en la vía pública, conversando frente a una vivienda, cuando un par de sujetos, a bordo de una moto lineal, se acercaron y comenzaron a disparar en su dirección, hiriendo a cuatro de ellos.
El ataque dejó a los jóvenes gravemente heridos y, de inmediato, fueron trasladados al hospital de Ventanilla. Los heridos han
e Crisis interna


sido identificados como Justin Alejo Alvarado, un joven de 22 años, y tres menores de edad: SLJT (17 años), MCJ (15 años) y CRE
(15 años). Las autoridades aún no han podido determinar con precisión las circunstancias del ataque. Vecinos de la zona ase-
guran que en el área se encuentra una cámara de seguridad que, si estuviera funcionando correctamente, habría registrado el mo-
La reciente designación de Antonio Castillo, hijo del gobernador regional del Callao, Ciro Castillo Rojo, como nuevo Coordinador Regional de Alianza para el Progreso (APP) ha desatado una crisis interna en el partido en el Primer Puerto.
El exalcalde de Carmen de la Legua, Daniel Lecca, anunció su renuncia a la militancia en APP, partido donde militaba desde 2017 al parecer por la falta de consulta a la dirigencia regional en la toma de decisiones. A través de sus

redes sociales, calificó el proceso como una imposición de la dirigencia nacional, lo que generó su inmediata salida del partido liderado por César Acuña. A esta postura se sumó el alcalde de Mi Perú, Irvin Chávez, quien a través de un comunicado expresó su rechazo a la falta de comunicación del partido en la designación del nuevo coordinador regional. Chávez enfatizó que, tras su elección en 2022, se convirtió en la única autoridad de APP en todo el Callao y que incluso había
sido convoca do para asu mir el cargo de coordina dor regional. Sin embargo, mostró su descontento por la manera en la que se llevó a cabo el cambio, calificándolo como una muestra de falta de respeto y seriedad hacia las bases del partido en la región.
mento del ataque. Hasta el momento, se desconocen más detalles sobre el estado de salud de los heridos, pero se sabe que fueron atendidos rápidamente por personal médico. Al lugar llegaron efectivos de la Policía Nacional del Perú y personal de Serenazgo, quienes acordonaron el área y comenzaron con las pericias correspondientes. En el lugar se encontraron aproximadamente 14 casquillos de bala, dispersos en los alrededores del ataque, lo que indica la magnitud de la agresión. La balacera tuvo lugar en el tercer sector de Angamos, una zona conocida por ser vulnerable a la violencia.

En el comunicado, Chávez también recordó que su elección fue histórica en Mi Perú, al ser el can-
didato más votado en la historia del distrito, y enfatizó que las bases políticas en el Callao son independientes en sus decisiones. Se espera que en las próximas horas otros militantes chalacos anuncien su salida del partido en protesta por esta designación.
El Callao se prepara para una fiesta gastronómica única que pondrá al primer puerto en el mapa de los récords culinarios. Este sábado 1 de febrero, la provincia constitucional será sede del evento “Cevichazo a la Chalaca”, donde más de 2 mil personas podrán disfrutar del ceviche más largo del Perú, con una impresionante extensión de 50 metros. Este evento, que promete ser un homenaje a la gastronomía peruana, también estará marcado por la celebración del Día Nacional del Pisco Sour.
El “Cevichazo a la Chalaca” se llevará a cabo en la Institución Educativa 5080 Sor Ana de los Ángeles, ubicada en la urbanización Santa Rosa, desde las 10:00 a.m. en adelante. La jornada será encabezada por el Gobierno Regional del Callao, liderado por el Dr. Ciro Castillo Rojo Salas, quien estará acompañado de más de 30 expositores, incluidos pescadores, artesanos, emprendedores gastronómicos y representantes de diferentes sectores del primer puerto.
Los asistentes tendrán la oportunidad no solo de degustar el ceviche más largo de Perú, sino también de ser parte activa de su preparación. La experiencia incluye actividades para toda la familia, como juegos inflables para los más pequeños, una feria gastronómica, opciones turísticas y una campaña médica gratuita. Además, quienes asistan podrán disfrutar de más de 500 vasos de pisco sour, el cóctel nacional que, junto al ceviche, forma una dupla perfecta.
Hoy en día, el ceviche no solo es un orgullo nacional, sino que también ha alcanzado el reconocimiento internacional. En 2023, la UNESCO lo declaró Patrimonio Cultural Inmaterial de la Humanidad, un título que subraya la importancia de este plato no solo como parte integral de la identidad peruana, sino también como un símbolo de la cohesión social y cultural del país.
evento gastronómico para todos
El Cevichazo a la Chalaca no solo se tratará de un ceviche gigante de 50 metros. Se romperá récord
metros de nuestro plato bandera y 2.000 porciones gratuitas
Los asistentes podrán disfrutar de una feria de servicios gratuitos, juegos inflables para los más pequeños y conciertos en vivo de bandas como Combinación de La Habana, KIMIE y Los Hermanos López, quienes le pondrán ritmo a la jornada.
Un tributo al pisco sour
La jornada también coincidirá con la celebración del Día Nacional del Pisco Sour, una fecha muy esperada por los peruanos para rendir homenaje a este cóctel tan representativo de la cultura peruana. En el Cevichazo a la


Chalaca, los asistentes podrán disfrutar de más de 500 vasos de pisco sour, el acompañante perfecto para el ceviche, que, al igual que el plato marino, es un símbolo de la identidad peruana. El pisco sour, con su mezcla de pisco, limón, jarabe de goma, clara de huevo y amargo de angostura, es la bebida ideal para realzar el sabor de la gastronomía del primer puerto.
Un espacio para La comUnidad
El evento busca no solo poner en valor la gastronomía del Callao, sino también contribuir

al bienestar social de la comunidad. Con una campaña médica gratuita, los asistentes podrán acceder a atención en salud, y la feria laboral ofrecerá oportunidades de empleo para aquellos que deseen mejorar su situación laboral. Además, la estación de corte de cabello gratuito será otro atractivo que ofrecerá el evento a todos los asistentes.
El Gobierno Regional del Callao ha enfatizado que este evento es una muestra del



compromiso con la comunidad chalaca.
“Este evento no solo busca promover nuestra rica gastronomía, sino también fortalecer el sentido de comunidad e identidad local”, destacó el presidente regional, quien invitó a todos los chalacos y turistas a unirse a esta celebración gastronómica única.
más aLLá deL ceviche
El evento también abrirá las puertas a nuevas oportunidades para el Callao, tanto en el ámbito turístico como en el desarrollo económico. Los organizadores han destacado la importancia de seguir promoviendo la economía local a través de actividades como estas, que no solo exaltan la cultura chalaca, sino que también fortalecen la imagen del Callao como un destino gastronómico de primer nivel.
La jornada del Cevichazo a la Chalaca se perfila como un ejemplo de cómo la gastronomía, la cultura y el sentido de comunidad pueden unirse para crear experiencias únicas que perduren en el tiempo. Este tipo de iniciativas son las que seguirán posicionando al Callao como un referente no solo a nivel nacional, sino también internacional.
Así que ya sabes, si quieres disfrutar del ceviche más largo de Perú, acompañarlo con un buen pisco sour, bailar al ritmo de la música en vivo y, además, acceder a servicios gratuitos para ti y tu familia, no te puedes perder el Cevichazo a la Chalaca.
Con el objetivo de diversificar y fortalecer su presencia en la región, la empresa chilena Parque Arauco terminó la compra total del centro comercial Minka, el más grande del Callao, marcando un acontecimiento importante dentro de su expansión en el Perú. Asimismo, refleja la confianza de la compañía sureña en el potencial del mercado nacional y local, el cual viene creciendo de manera continua. La compra anunciada por el Grupo Centenario, que tuvo un monto de aproximadamente 381 millones de soles, está sujeta a la aprobación de Indecopi, en base a la normativa de Control Previo de Operaciones de Concentración Empresarial.
De este modo, la compra de Minka se convierte


en el activo número 22 y en el segundo más importante del país en visita y venta
del portafolio Arauco Holding Perú SAC. Según Eduardo Pérez Marchant, gerente general de la empresa chilena, el centro comercial chalaco cuenta con una ubicación privilegiada, lo cual permite la atracciones de visitantes mes a mes



Con el objetivo de asegurar la seguridad y el tránsito fluido, 124 efectivos de la Policía Nacional del Perú se han desplegado en puntos estratégicos de las avenidas Morales Duárez, Elmer Faucett, Nuevo Aeropuerto, Santa Rosa y Las Américas, consideradas principales vías de acceso al nuevo Aeropuerto Internacional Jorge Chávez
Los agentes se encuentran distribuidos en tres turnos de 8 horas: de 7:00 a 3:00 p.m., de 3:00 a 11:00 p.m. y de 11:00 a 7:00 a.m. Además, cuentan con una disponibilidad diaria incluidos feriados.
Esta iniciativa, que es posible gracias al Convenio Tripartito de Cooperación Interinstitucional, responde al compromiso entre el Ministerio de Transportes
eEl más alto alcanzado en el Perú
y Comunicaciones (MTC), la Policía Nacional del Perú (PNP) y la Autoridad de Transporte Urbano (ATU) de garantizar un orden en los accesos al nuevo termi-
El día de hoy miles de trabajadores peruanos reciben por primera vez el nuevo sueldo mínimo de S/1.130, tras el incremento de S/105 aprobado por el Gobierno. Este ajuste también impacta en beneficios laborales como la CTS y las gratificaciones, beneficiando a quienes trabajan en el sector formal.
El aumento de la Remuneración Mínima Vital (RMV), que pasó de S/1.025 a S/1.130, fue anunciado en diciembre de 2024 por

la presidenta Dina Boluarte. La medida busca mejorar el poder adquisitivo de los trabajadores y reducir la brecha salarial, aunque
ha generado opiniones divididas entre empresarios y sindicatos. Este incremento es obligatorio para todos los empleadores que tengan trabajadores en planilla y laboren una jornada completa de 48 horas semanales. Además, los empleados con sueldo mínimo también verán
nal, que será clave para la conectividad, el comercio y el turismo en el país. De este modo, el MTC emplea esta medida para reforzar su compromiso con la seguridad y la accesibilidad en una de las infraestructuras más grandes e importantes para el desarrollo estratégico del Perú.

reflejado este ajuste en pagos adicionales, como la asignación familiar y la compensación por tiempo de servicios.
A pesar de los beneficios para los trabajadores, algunas pequeñas y medianas empresas han expresado preocupación por el impacto económico que representa este aumento, ya que podría incrementar los
costos operativos y afectar su rentabilidad. Sin embargo, el Gobierno asegura que la medida es necesaria para mejorar la calidad de vida de miles de familias peruanas.
Desde el sector sindical, el alza es considerada insuficiente, pues argumentan que el costo de vida ha subido considerablemente en los últimos años.
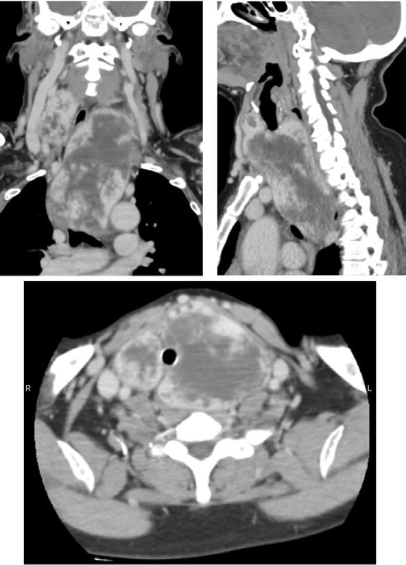
Médicos del Hospital Nacional
Daniel Alcides Carrión lograron tratar un complejo caso de bocio gigante, una enfermedad que afecta la glándula tiroides y puede comprometer funciones vitales.
El Hospital Nacional Daniel Alcides Carrión del Callao ha logrado un importante avance en la atención de enfermedades endocrinas al tratar con éxito a una paciente diagnosticada con bocio gigante, una afección que provoca el crecimiento anormal de la glándula tiroides y puede generar complicaciones respiratorias y cardiovasculares.
La paciente, identificada como Consuelo Rujel Sanjinés, se encuentra hospitalizada y en proceso de recuperación tras la intervención médica. El equipo de especialistas del hospital asumió el desafío destacando el compromiso del personal de salud con la atención de enfermedades de alta complejidad.
poco FrecUente
El bocio gigante es una patología poco frecuente que puede generar serias

dificultades para respirar, tragar y hablar, debido a la compresión de la tráquea y otros órganos del cuello.
eEn camiones cisternas de Sedapal

Su tratamiento requiere un diagnóstico preciso y, en muchos casos, una intervención quirúrgica
A través de camiones cisternas de Sedapal se retomó la distribución gratuita de agua potable en aproximadamente 20 zonas vulnerables de Lima y Callao. Este abastecimiento ejecutado por el Ministerio de Vivienda, a través del Programa Agua Segura para Lima y Callao (PASLC), busca garantizar que estos sectores cuenten este recurso.

Estos camiones, que se encargaran del abastecimiento de manera pro-
gresiva, recorrieron durante las primeras horas del miércoles 29 de enero diversos puntos del primer puerto y la capital.
controL de caLidad deL agUa
Cabe señalar que la distribución debe contar con un protocolo de calidad, que trata de una

vó a cabo con éxito, permitiendo que la paciente evolucione favorablemente.
especializada para extirpar la masa tiroidea sin afectar estructuras vitales. Esta intervención se lle-
Las autoridades del nosocomio reafirmaron su compromiso de seguir ofreciendo atención de calidad a los pacientes que requieren procedimientos especializados.

prueba de cloro residual del agua transportada en las cisternas. Según la normativa vigente, el agua en los surtidores debe contener entre 1 y 1.5 partes por millón de cloro. En el caso del transporte en los camiones cisterna, este valor debe mantenerse entre 0.5 y 1.5 partes por millón para
evitar riesgos en la salud. De este modo, el procedimiento de calidad permitirá que el agua sea saludable para el consumo humano y que cuente con los estándares sanitarios establecidos a fin de prevenir enfermedades gastrointestinales e infecciones en la población.
La Conmebol hizo oficial los horarios de la fecha 13 y 14 de las Eliminatorias 2026. En el caso del Perú, tendrá que enfrentar a Bolivia de local y Venezuela en condición de visita.
De este modo, la Federación Peruana de Fútbol (FPF) confirmó a través de sus redes sociales que el partido ante los altiplánicos se disputará el próximo jueves 20 de marzo, desde las 8:30 de la noche en el Estadio Nacional.
En tanto, el cotejo para enfrentar a la vinotinto se llevará a cabo el próximo martes 25 de marzo, desde las 7:00 de la noche en el Estadio Monumental de Maturín en la ciudad de Caracas.
a seis pUntos deL pUesto de repechaJe
Sin entrenador y replegados en la última casilla de posiciones, el panorama que viene atravesando la Selección Peruana no es para nada alentador. Sin embargo, tendrá que jugarse la vida ante rivales directos en busca de escalar en la tabla y buscar el tan ansiado puesto de repechaje, donde se
e Fechas 13 y 14 de las Eliminatorias 2026


tendrá que enfrentar a un equipo asiático. Cabe señalar que la FPF tampoco tiene Director de Fútbol, situación que reafirma la crisis que se vive
El pasado miércoles 29, Messi arribó al Callao y desde el minuto 1 recibió un afectuoso cariño por parte de los hinchas peruanos, quienes no solo vieron de cerca a su ídolo, sino que serían testigos de la posible última visita del astro argentino al Perú. Esta situación no fue ajena para el campeón del mundo, quien utilizó sus redes sociales para expresar su agradecimiento al país por la acogida. “Seguimos preparándonos… Gracias Perú por el

cariño!!”, publicó el delantero de Inter de Miami.
inter de miami se LLeva eL amistoso ante La “U”
El equipo de la MLS arrancó al campo con sus estrellas, entre las que destacaron futbolistas como Lionel Messi, Luis Suárez, Sergio Busquets y Jordi Alba. A pesar de ello, el equipo
crema mostró un gran nivel logrando un empate 0-0 durante los 90 minutos, sin embargo, los dirigidos por Javier Mascherano se llevaron el triunfo en la definición por penales. En el amistoso la “Pulga” jugó hasta el minuto 73 y tuvo choques con los jugadores cremas Gabriel Costa y Jorge Murrugarra. Al ser reemplazado por Robert Taylor el 10 de la
en la Videna y que refleja los malos resultados del equipo de todos, donde solo han logrado registrar 7 unidades con 3 goles a favor y 15 en contra.

selección argentina fue aclamado por todo el estadio, quienes corearon su nombre en señal de admiración. Este detalle conmovió al exBarcelona que levantó su mano y aplaudió a los asistentes como retribución a su cariño.
ACUARIO: Estás listo para embarcarte en nuevas aventuras, pero es importante confiar en tu intuición. Enfocarte en tus habilidades de comunicación, te ayudará a dirigir tu situación de la forma correcta.
P ISCIS: Pensarás en el amor como un privilegio esta temporada. No te presiones tanto para encontrarlo. Hoy mismo, debes aprovechar para abrirte a la posibilidad de amar y ser amado.
A RIES : Tienes que empezar el día con mucha energía. Tu vida amorosa será el foco de tu atención y harás todo lo posible para cuidar tu relación. Estarás más abierto a hablar de emociones e intimidad.
T AURO : Los próximos días te conducirán a tu verdadero yo. Abandona los prejuicios e intenta disfrutar más en tus relaciones. De nada te sirve la timidez. Apuesta todo a esta nueva relación y verás.
GéMINIS: Piensa en cómo construir confianza con tus seres queridos. El amor florecerá si cultivas el sentimiento de gratitud. Concéntrate en darle a tu relación el tiempo necesario para prosperar.
Cá NCER : A lo largo de este mes, el futuro de tu relación será una de tus prioridades. Serás honesto contigo mismo y no tendrás miedo de comprometerte. Esto ayudará a encontrar un buen amor.

L EO : Durante este mes, el amor como diversión será el lema para ti. Esta es una buena oportunidad para tener una aventura o crear fuertes vínculos con personas nuevas. El amor estará de tu lado.
V IRGO: Tu tono optimista se verá reflejado en tus relaciones, incluso en situaciones complicadas. Eres el mejor cuando te conectas con tu poder creativo, tómalo en cuenta para revivir cualquier situación.
Li B r A : Hoy atraerás una nueva energía a tu vida que cambiará tu perspectiva de las relaciones. Crea nuevas reglas con tu pareja, aprovecha este momento para abrir tu corazón y para ser muy feliz.
E SCORPIO : Tendrás oportunidades muy buenas y la ayuda de amigos y familiares en el amor. Aprovecha los beneficios de esta energía para resolver conflictos o crear nuevos sentimientos.
S AGITARIO : Salir de tu zona de confort puede ayudarte un montón esta temporada. Será el momento para extender la mano en busca de nuevos lazos. De seguro encontrarás un nuevo amor.
CAPRICORNIO: Disfruta de tu intimidad y las estrellas te ayudarán a expresar tus sentimientos más profundos. Si has estado buscando el amor, los astros te conectarán con alguien especial.
e Dejaron en alto nombre del Perú con el el “Cóndor pasa”
Una nueva edición de el Spring Festival Gala, un evento icónico que celebra la llegada del Año Nuevo Chino, fue testigo de un acontecimiento histórico, en donde los músicos nacionales Juan Diego Flórez y Lucho Quequezana representaron a Latinoamérica y en especial al Perú con el emblemático tema “El Cóndor pasa”.
Los artistas peruanos salieron al escenario minutos después de la me-
e Su primer pago fue de 20 euros
De dormir en el metro al éxito en París: la historia de
La peruana Leydi Salazar logró convertir su difícil experiencia en Francia en un exitoso emprendimiento turístico llamado “Mochila Latina”, dirigido a latinos con barreras de idioma. Gracias a su innovadora propuesta, acumuló más de 50 mil seguidores en TikTok y 30 mil en Instagram, además de guiar a artistas como Sebastián Yatra y Lorna Cepeda por París.

Salazar llegó a Francia hace dos años en busca de una mejor oportunidad, pero se enfrentó a múltiples obstáculos, como la falta de empleo, la barrera del idioma e incluso el desalojo de su vivienda, lo que la obligó a dormir una noche en el metro. Fue en ese contexto que una turista mexicana le pidió ayuda para orientarse en el transporte público y le pagó 20 euros, sembrando la semi-
lla de su negocio.
“Mochila Latina” creció rápidamente gracias a la necesidad de los turistas latinos de contar con una guía en su idioma. La actriz colombiana Lorna Cepeda fue la primera figura pública en apoyar su emprendimiento, convirtiéndose en su madrina. Posteriormente, otras celebridades peruanas y extranjeras recurrieron a sus servicios para conocer la capital francesa.


dianoche junto a las estrellas chinas, Zhou Shen y Niu Jiandang, con quienes interpretaron la famosa zar-
zuela peruana. Cabe señalar que es la primera vez que dos artistas peruanos son invitados
a participar de este prestigioso evento, lo cual marca un hecho significativo en la cultura nacional. Lucho
Quequezana es reconocido por su capacidad para fusionar la música andina tradicional con influencias contemporáneas, mientras que Juan Diego Flórez, es un reconocido tenor que
cuenta con un extraordinario talento vocal y un carisma escénico elegante e inigualable.
miLLones de espectadores
Es importante mencionar que el Spring Festival Gala es un programa de televisión que dura cinco horas y es considerado un símbolo de la cultura china, reuniendo a millones de espectadores en todo el mundo lo cual la ha llevado a ser reconocida con un récord Guinness.



