HEMOFILIA 2022 FHRM

Page 1

PREMIO NACIO NAL DE PERIODISM O 2013 2014 PREMIO INTERAMERICANO A IR E V I T A L 2013
Diciembre 2022- Enero 2023 Edición No. 125

dirección@mundodehoy.com

CONTENIDO

Asociaciones Estatales Miembro de la Federación de Hemofilia de la República Mexicana, A.C. Pág 4

31° aniversario de la Federación de Hemofilia de la República Mexicana. Por Redacción. Pág 5

Junta Directiva de la Federación de Hemofilia de la República Mexicana, A.C. Pág. 7

Pacientes y familiares de hemofilia necesitan atención integral. Por Redacción. Pág. 8

Bayer presenta nuevo medicamento contra la hemofilia. Por Redacción. Pág. 30

Alegría y patriotismo con causa en la Casa de la Hemofilia. Por Redacción. Pág. 32

La FHRM celebró el Día Mundial de la Hemofilia 2022 con una exposición de arte. Por Redacción. Pág. 34

Icónicos monumentos y sitios emblemáticos se iluminaron de rojo en apoyo a los pacientes con Hemofilia. Por Redacción. Pág. 36

angeles@mundodehoy.com

Información, un recurso indispensable para luchar contra la Hemofilia. Por Redacción. Pág. 9

Sra. María Luisa Bastar de Abreu, una pionera en la lucha contra la Hemofilia. Por Redacción. Pág. 10

lourdes@mundodehoy.com

“Mejorar las condiciones de vida de las personas con Hemofilia”: Arq. Martha Monteros. Semblanza de la presidenta de la FHRM (2001-2009). Por Redacción. Pág. 14

Un padecimiento convertido en activismo Carlos Gaitán Fitch. Semblanza del presidente de la FHRM (2009-2015). Por Redacción. Pág. 16

El objetivo es que el paciente tenga acceso a un esquema de tratamiento preventivo: Miguel Izquierdo. Semblanza del Presidente de la FHRM (2015 – 2017). Por Redacción. Pág. 26

Un tratamiento adecuado y oportuno para que los pacientes cuenten con una mejor calidad de vida: Mtro. Alfonso Quintero Semblanza del Presidente de la FHRM (2017-2019). Por Redacción. Pág. 28

Jugando y educando entorno a la Hemofilia. En entrevista con el Psic. Ezequiel Martínez, Psicología Hematológica de la FHRM. Por Redacción. Pág. 29

FHRM, 31 años de labor continua en beneficio de los pacientes: Cesar Garrido. Por Redacción. Pág. 37

Desde hace 3 décadas, la FHRM trabaja y lucha en beneficio de las personas que padecen Hemofilia: Dra. Adolfina Berges García. Por Redacción. Pág. 38

Coagulopatías en niños, FHRM y las primeras Clínicas de Hemofilia en el IMSS. “Para mí siempre fue una gran satisfacción sacar a un niño de su silla de ruedas para que pudiera caminar”: Dra. Herminia Benítez Aranda. Por Redacción. Pág. 42

Sergio Ojeda y su historia en la FHRM. Por Redacción. Pág. 48

Tabasqueña de Hemofilia A.C. celebró 33 años de historia. Por Redacción. Pág. 50

Historia de la Hemofilia en Tabasco.

Por: Dr. Efraín Zurita Zarracino, Médico Hematólogo Adscrito en el Servicio de Medicina Interna del Hospital del Niño Dr. “Rodolfo Nieto Padrón”, Villahermosa, Tabasco, México. Pág. 52

La FHM y la FHRM colaboran para mejorar el tratamiento de la Hemofilia en el Sistema de Salud Nacional Mexicano. Por Redacción. Pág. 56

d 2013 2014 PREMIO NACIONAL DE PERIODISMO “CLUB PERIODISTAS DE MÉXICO” PREMIO INTERAMERICANO “AIRE VITAL”
Carlos Henze WEBMASTER Carlos Hernández SUBDIRECCIÓN David Hernández INFORMACIÓN Ángeles Hernández COORDINACIÓN
Hurtado
Y DISEÑO Carolina Mandujano REDACCIÓN
Zamora
DIRECCIÓN
Lourdes
ARTE
Dennys
LASALUD.MX - REVISTA IMPRESA Y DIGITAL
(0155) 5523-2437 / (0155) 5908-6866 contacto@mundodehoy.com 2013-2014 2013
MUNDO DE HOY S.A. DE C.V Tels.

Los concentrados de factores de coagulación de vida media extendida reducen el número de infusiones y extienden el tiempo entre infusiones profilácticas. Pág. 59

Cesar Garrido, actual presidente de la FMH. 2020 – 2025. Por Redacción. Pág. 60

Takeda México presenta nuevo tratamiento para pacientes con Hemofilia Tipo A. Por Redacción. Pág. 63

Lo más sobresaliente del Congreso Mundial de la FMH 2022. Por Redacción. Pág. 64

Roche amplía su compromiso con el Programa de ayuda humanitaria de la FMH. Por Redacción. Pág. 66

Minerva Cruz representó a la FHRM en el Congreso Mundial de Hemofilia. Por Redacción. Pág. 67

Miguel Izquierdo resalta lo más relevante del WFH 2022 y la estrecha relación que tienen con México. Por Redacción. Pág. 68

Octapharma destaca los desafíos de vivir con la enfermedad de von Willebrand en el Congreso Mundial 2022 de la FMH. Por Redacción. Pág. 70

Programa PACT de la FMH. Por Redacción. Pág. 72

El Fondo de ayuda de la FMH para el Covid-19 proporcionó un apoyo muy necesario. Por Redacción. Pág. 75

Grupo CLAHT se une a la FMH para impulsar la investigación en Hemofilia. Por Redacción. Pág. 76

Fármacos logran reducir el sangrado en pacientes con Hemofilia. Por Redacción. Pág. 77

El área de Hematología Pediátrica del CMN 20 de Noviembre es referencia a nivel nacional en investigación clínica. Por Redacción. Pág. 78

Hemofilia en niños. Por Redacción. Pág. 80

Hemofilia adquirida: curable sólo si se identifica y trata a tiempo. Por Redacción. Pág. 82

ISSSTE brinda tratamientos de ingeniería genética a pacientes con Hemofilia. Por Redacción. Pág. 83

Banco de DNA para estudios genéticos de Hemofilia y Enfermedad von Willebrand en México.

Por: Dra. Ana Rebeca Jaloma Cruz, Centro de Investigación Biomédica de Occidente, IMSS, Guadalajara, Jalisco. Pág. 84

Hemofilia y embarazo. Por Redacción. Pág. 93

El 60% de los casos de Hemofilia en México son graves. Por Redacción. Pág. 94

Definiendo a la Hemofilia en mujeres y niñas.

Por: Dra. Mónica Lozano Garcidueñas, Hematóloga Pediatra. Pág. 95

Historias de Madres eXtraordinarias: conviviendo con la hemofilia. Pág. 101

Destacado alumno con hemofilia ganó la Olimpiada del Conocimiento Infantil 2022. Por Redacción. Pág. 105

Incapacita el dolor a las personas con hemofilia que no reciben el tratamiento adecuado. Pág. 107

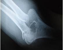
Manejo ortopédico de la artropatía hemofílica en México. Por: Dr. Armando R. Hernández Salgado, Ortopedista y Traumatólogo, Cirujano de Artroscopia y Cirugía de Rodilla, Especialista en Artropatía Hemofílica, Asesor Voluntario de FHRM. Pág. 109

Dr. Roberto Bernal, un ortopedista especializado en el tratamiento de los niños con Hemofilia. Por Redacción. Pág. 115

Tratamiento oportuno evita lesiones incapacitantes y reduce riesgo de fallecimiento por Hemofilia. Por Redacción. Pág. 117

Embolización de la arteria genicular media para el tratamiento definitivo de los sangrados en las rodillas de pacientes hemofílicos. Por: Dr. Guillermo Capetillo Morales, Médico Traumatólogo Ortopedista. Pág. 118

El CSG publica Protocolo Técnico de Atención para las personas con Hemofilia. Por Redacción. Pág. 119

La lucha contra las Enfermedades Raras es de todos los días. Por Redacción. Pág. 122

Inauguran Clínica de Hemodiálisis en Guerrero. Por Redacción. Pág. 124

Todo sobre la terapia que promete curar la Hemofilia B. Por Redacción. Pág. 127

Revista LaSalud.mx Número 125 es una publicación bimestral publicada por Grupo Editorial Mundo de Hoy SA de CV, con domicilio fiscal; Vista Hermosa 94 Bis, Colonia Portales Sur, Alcaldía Benito Juárez, C.P. 03300, Ciudad de México. Teléfono 55-5523-2437. Editor Responsable: Carlos E. Hernández Henze.

Reserva de derechos al Uso Exclusivo 04-2021-101914512800-102, otorgado por el Instituto Nacional del Derecho de Autor. ISSN en trámite, Certificado de Licitud de Título y Contenido en trámite.

Las opiniones expresadas por los autores no necesariamente reflejan la postura del editor y de la publicación. La publicidad y la información de los anuncios son responsabilidad exclusiva de cada anunciante. Todos los Derechos Reservados: Queda prohibida la reproducción parcial o total de las imágenes y contenidos publicados sin previa autorización por escrito del Comité Editorial de la Revista LaSalud.mx

3 ww w.l a s a l u d m x @ d d h

ASOCIACIONES ESTATALES MIEMBRO FHRM

Federación

de Hemofilia de la República Mexicana, A.C.

Aguascalientes ASOCIACIÓN DE HEMOFILIA DE AGUASCALIENTES

Presidente de la Asociación

Sr. Víctor Suarez Alonso

Baja California ASOCIACIÓN DE HEMOFILIA DE LAS CALIFORNIAS, A.C.

Presidente de la Asociación

Dr. José de Jesús Castorena Mora

Campeche ASOCIACIÓN DE HEMOFILIA DEL ESTADO DE CAMPECHE, A.C.

Presidenta de la Asociación

Sra. Maribel de los Santos Matu Moo

Chihuahua ASOCIACIÓN DE APOYO DE ATENCIÓN A PERSONAS CON HEMOFILIA, I.A.S.P.

Presidente de la Asociación

Marcos Ojeda Chávez

Coahuila ASOCIACIÓN DE HEMOFILIA CENTRO NORTE, A.C.

Presidenta de la Asociación

Lic. Yolanda Montes González

Durango ASOCIACIÓN DE HEMOFILIA DE DURANGO, A.C.

Presidente de la Asociación

Luis Adrián Luján Espinoza

Guanajuato ASOCIACIÓN DE HEMOFILIA DEL ESTADO DE GUANAJUATO, A.C.

Presidenta de la Asociación

Sra. Ana María Mireles de Cariilo

Jalisco UNIDAD Y DESARROLLO HERMANOS CON HEMOFILIA, A.C.

Presidente de la Asociación

Sr. Francisco Gaitán Puerto

México ASOCIACIÓN MEXIQUENSE DE HEMOFILIA, A.C.

Presidenta de la Asociación

Sra. Inés Virginia Arellano Fernando

Nuevo León ASOCIACIÓN DE HEMOFILIA

SILOÉ, A.C.

Presidenta de la Asociación

Sra. Maribel Curiel Martínez

Oaxaca

ALTRUISTAS OAXAQUEÑOS POR LA HEMOFILIA, A.C.

Presidenta de la Asociación

Enf. Rocío Gregoria Guzmán

Pachuca

ASOCIACIÓN PACHUQUEÑA DE HEMOFILIA

Presidente de la Asociación

Sr. Jesús Jorge Espinosa Arteaga

Puebla

ASOCIACIÓN DE HEMOS DE PUEBLA, A.C.

Presidente de la Asociación

Ing. Víctor Manuel Losada López

Querétaro

ASOCIACIÓN DE HEMOFILIA DEL ESTADO DE QUERÉTARO, A.C.

Presidente de la Asociación

Froilán Navarrete Ugalde

San Luis Potosí

ASOCIACIÓN POTOSINA DE HEMOFILIA, A.C.

Presidenta de la Asociación

Liliana N. Carnalla Barajas

Sinaloa

ASOCIACIÓN DE HEMOFILIA DE SINALOA, A.C.

Presidente de la Asociación

Carlos G. Villanueva Nájera

Sonora

AHS Hemofilia Sonora, A.C.

Presidenta de la Asociación

Sra. Gabriela Juvera Díaz

Tabasco

TABASQUEÑA DE HEMOFILIA, A.C.

Presidente de la Asociación

Sr. Jorge Enrique Abreu Bastar

Tamaulipas

ASOCIACIÓN DE HEMOFILIA DE TAMAULIPAS, A.C.

Presidente de la Asociación

Sr. Héctor Barron Ahumada

Veracruz ASOCIACIÓN VERACRUZANA DE HEMOFILIA, A.C.

Presidenta de la Asociación

Sra. Maricela Guzmán Hernández

Yucatán

ASOCIACIÓN JUNTOS POR LA HEMOFILIA DE YUCATÁN, A.C.

Presidenta de la Asociación

Q. Pilar del Rosario Gil Adrián

31° aniversario de la Federación de Hemofilia de la República Mexicana

Por: Redacción

LaSalud.mx.- A 31 años de trabajo a favor de los pacientes con hemofilia, la Federación de Hemofilia de la República Mexicana (FHRM), preparó actividades con un amplio programa social, que fue sin lugar a dudas de gran ayuda para pacientes y familiares, teniendo la gran oportunidad, como en ocasiones, anteriores de escuchar los testimonios de los más interesados en estos avances y logros: los pacientes.

En forma paralela y en el marco del 31° aniversario de la FHRM se difundieron vídeos con asesores médicos que informaron sobre la trayectoria de la Federación.

De acuerdo con la Lic. Minerva Cruz, Representante de la Federación, estas actividades se llevaron a cabo del 22 al 26 de noviembre con el objetivo de escuchar a los pacientes para saber cómo ha avanzado el padecimiento y el tratamiento disponible desde los años 80 a la fecha. También se contempló a los cuidadores, ya que la familia también resiente las consecuencias que conlleva la enfermedad.

Lo más importante es visibilizar la hemofilia, pues se ha demostrado que entre más información tienen las personas, los pacientes son menos susceptibles a ser discriminados o a sufrir agresiones. Además, se logra una mayor calidad de vida y un mejor autocuidado.

La hemofilia es un trastorno poco común que afecta a una persona por cada 10 mil, con una mayor prevalencia en hombres, sin embargo, también existen mujeres con el padecimiento de la Hemofilia. Quienes la padecen carecen de un factor de la coagulación que puede ser VIII o IX.

En consecuencia, sufren sangrados internos o externos y afecta principalmente las articulaciones.

La hemofilia está catalogada como una enfermedad rara: la FHRM tiene un registro de seis mil 279 pacientes, aunque se estima que casi la misma cantidad de personas desconocen que tienen este padecimiento o no necesitan un tratamiento.

Asimismo, la Presidenta de la Federación reconoce que, desde la constitución del organismo, ha habido grandes avances gracias al trabajo colaborativo entre familiares, pacientes y médicos, así como de las asociaciones estatales.

Constituida el 21 de noviembre de 1991 por María Luisa Bastar de Abreu, las 5 asociaciones que en un inicio la conformaron fueron: Tabasqueña de Hemofilia A.C., Asociación de Hemofilia del Estado de México, Asociación de Hemofilia de Jalisco A.C. Asociación

Chiapaneca de Hemofilia A.C. y Asociación Pro-Hemofílico Pediátrico A.C., donde el principal objetivo fue y sigue siendo, impulsar y promover la toma de conciencia de organismos e instituciones relacionadas con las necesidades de las personas con deficiencias congénitas de la coagulación, así como promover la afiliación de la Federación de las asociaciones constituidas legalmente en la República Mexicana.

Actualmente, cuentan con 21 asociaciones estatales en todo el país con las que trabajan permanentemente para capacitarlas en aspectos relacionados con el liderazgo, planeación del trabajo, obtención de fondos, entre otras actividades. Igualmente, esta agrupación promueve la educación sobre el tratamiento de la enfermedad con distintas estrategias, pese a ello, calculan que 35% de los casos de hemofilia en México pueden no contar con uno adecuado o no tener acceso regular a él.

5 www.lasalud.mx
8 0 ww w.l a s a l u d m x ¡Estamos en las mejores manos y en tu pantalla! contacto@mundodehoy.com publicidad@mundodehoy com

Junta Dir ectiva de la Feder ación de

La Junta Directiva es el órgano ejecutivo responsable de administrar, coordinar y ejecutar las actividades, servicios, programas y proyectos de la Federación y actualmente está integrada por un Presidente, un Secretario, un Tesorero y dos

Psicología

Arif González jacobo

Vocal

de la Junta Directiva Froilán Navarrete Ugalde

Psicología

Vicepresidente Médico

Dra. Adolfina Berges

Vicepresidente

Rocío Guzmán González

Secretario de la Junta Directiva Victor Manuel Losada López

Tesorero de la Junta Directiva Pilar Gil Adrián

Vocal de la Junta Directiva José de Jesús Castorena

Rehabilitación

Registro de Pacientes

Juan

Área Administrativa Trabajo Social

Incidencia Pública

Redes

7 www.lasalud.mx
-
:
Brenda Michelle Durán Martínez Ezequiel Martínez Martínez Claudia Cruz Rodríguez Melisa Arizbet Hernández Ortiz Cecilia Gallardo Pérez Héctor Hugo Hernández Manuel García Cruz Juan Manuel Meléndez Lunar Francisco Buendia Gustavo F Pérez Blanco

Pacientes y familiares de hemofilia necesitan atención integral

Por: Redacción

LaSalud.mx.- Rocío Gregoria Guzmán González, Vicepresidenta de la Federación de Hemofilia de la República Mexicana (FHRM) es consciente de la importancia que tiene la calidad de atención que reciben los pacientes y busca integrarse a los proyectos del equipo que están “dirigidos y centrados a brindar una atención integral al paciente, que mejore tanto su condición de salud, como su calidad de vida” dijo en un videomensaje.

En México, existen 5 mil 221 personas diagnosticadas con algún tipo de hemofilia o enfermedad de von Willebrand, cerca del 70% no cuentan con un tratamiento adecuado o no lo tienen. Por ello, quedan expuestas a sufrir lesiones articulares incapacitantes o daños internos a sus órganos, también las pone en riesgo de morir en edades tempranas; así lo señala información de la FHRM.

Rocío Guzmán, también presidenta de Altruistas Oaxacaqueños por la Hemofilia Asociación Civil, una de las organizaciones afiliadas a la FHRM, menciona que el cuidado está centrado

en los familiares del paciente, puesto que el entorno en el que este vive es muy importante para su recuperación. “A veces se necesita que esté muy fortalecida la familia para que nuestros pacientes sientan que están acompañados y que no están solos”, comentó.

La asociación civil Altruistas Oaxacaqueños por la Hemofilia fue creada en mayo de 2011 y tiene como misión contribuir en la condición de salud de los pacientes con hemofilia y otras deficiencias de coagulación.

8 www.lasalud.mx

Información, un recurso indispensable para luchar contra la Hemofilia

Por: Redacción

LaSalud.mx.- Una acción prioritaria para enfrentar la hemofilia es la difusión de información, indicó Víctor Manuel Losada, actual Secretario Electo de la Federación de Hemofilia de la República Mexicana A.C. (FHRM). En un videomensaje expresó que “nuestro principal trabajo es divulgar, dar capacitaciones y que todo paciente con hemofilia sepa de qué se trata la enfermedad y dónde se puede dirigir para tener una buena atención. Además, tenemos la intención de ver hacia adelante y tratar de ayudar a todos los papás y a los familiares porque esta no es una enfermedad que afecte solamente al paciente, sino que toda la familia se ve involucrada”.

Cabe señalar que la hemofilia es una enfermedad que impone una carga económica y social considerable. Un paciente puede llegar a consumir los recursos de 5 o más pacientes juntos. Además, en el ámbito escolar, los niños con hemofilia presentan dificultades de concentración; mientras que a nivel

emocional refieren sentimientos de miedo, tristeza, enojo y preocupación por el futuro, lo cual impacta en su desarrollo integral, según datos recogidos por la FHRM.

La FHRM está conformada por organizaciones ubicadas en 11 entidades del país, entre las cuales se encuentra Hemos de Puebla A.C., donde preside Víctor Manuel Losada, quien a partir de su trabajo fue nombrado secretario.

“Es una satisfacción para mí pertenecer a la Federación, pues tenemos una gran responsabilidad a nivel nacional para todas las personas con hemofilia de la República Nuestro fin es que todos los pacientes con hemofilia reciban un tratamiento integral que sea igual en todos los estados y que tengan la misma atención y los mismos beneficios a nivel nacional”, señaló Víctor Losada.

9 www.lasalud.mx

Sra. María Luisa Bastar de Abreu, una pionera en la lucha contra la Hemofilia

Por: Redacción

LaSalud.mx.- Durante su visita en la sede de la Federación de Hemofilia de la República Mexicana A.C. (FHRM), la Sra. María Luisa Bastar de Abreu narra sus inicios en la lucha contra la hemofilia y cómo fundó la FRHM con el objetivo de mejorar la atención de los pacientes con trastornos de la coagulación en México.

En entrevista exclusiva con LaSalud.mx, la fundadora de la FHRM comentó su alegría: “al llegar a la casa de la FHRM y ver los avances que tienen. Me siento muy orgullosa del trabajo que están haciendo las personas de la junta directiva. Recor-

dé cuando compramos este predio con pocos recursos obtenidos de un congreso mundial. Mi esposo es ingeniero civil y junto a sus amigos lo arreglaron: antes había un piso de madera, muchas ratas y ellos se encargaron de limpiar y reforzar las paredes para inaugurarlo en agosto de 1994”.

Tras la fundación de La Casa de la Hemofilia, apuntó: “me tenía que ir a Tabasco porque cambiaron a mi esposo para allá en su trabajo. Dejé las oficinas en manos de otra persona y me daba mucha tristeza ver que no había tantos avances. Ahora

me siento muy emocionada porque se recobraron los objetivos para beneficiar a los pacientes y de lo poco que pueden tener en recursos económicos han hecho mucho. Tenía muchos años sin venir a las oficinas, pero me voy a ir tranquila y satisfecha”.

Respecto a la labor de la junta directiva mencionó que le gustaría que siguiera trabajando porque no es fácil. Muchos buscan un beneficio propio y no es así. Deben de entregarse totalmente de buena fe y trabajar para el beneficio del paciente junto con las autoridades.

10 www.lasalud.mx

La FHRM se fundó en octubre de 1991 con ayuda de las asociaciones de Tabasqueña de Hemofilia, el Instituto Nacional de Pediatría y las sedes del Estado de México, Chiapas y Jalisco.

La fundación y adquisición de la FHRM corresponde a la Sra. María Luisa Bastar de Abreu, aunque reconoció que la ayuda de personas amigas porque ha sido un esfuerzo muy grande. Otro de sus logros más importantes fue la inclusión en el cuadro básico el factor anti hemofílico en 1993 en el Instituto Mexicano del Seguro Social (IMSS) y en 1996 en el Instituto Seguridad y Servicios Sociales para los Trabajadores del Estado (ISSSTE). “Esto fue un regalo de navidad que me entregó el Dr. Norberto Treviño”, recordó.

Durante la lucha para lograr incluir este medicamento en el cuadro básico, dijo: sólo me acompañaba mi bolsa, papeles y mi presencia, no había nadie más. Hoy me siento bendecida por Dios porque me ha podido iluminar cuando he necesitado una luz para seguir. Una vez platiqué con un doctor y le decía que yo iba a seguir ayudando al paciente con hemofilia aún sin un cargo”.

Antes de iniciar su labor altruista, la Sra. María Luisa comentó: “Estaba acostumbrada al manejo integral del paciente con hemofilia porque mi hijo se atendía en Houston y en México solo estaba el hematólogo, y aunque es el eje central se necesita un equipo de médicos que abarca varias especialidades, incluso cirugía plástica reconstructiva; y eso no está contemplado a nivel mundial, pero en casos específicos sí se requiere. Los apoyos psicológicos también se tienen abandonados en casi todo el mundo y se necesita trabajar con ética y en equipo con todos los demás integrantes, con las mamás y la familia de los pacientes porque tener hemofilia afecta al entorno familiar,

incluso hasta los amigos. Una amiga me decía que vivía en la zozobra de que no le fuera pasar nada a mi hijo porque lo consideraban como uno de ellos”.

Continuó: “Yo creo mucho en Dios y creo que por algo nació mi hijo y por algo hice todo eso. Yo no tenía necesidad, pero aun así hice esto porque una doctora del Instituto Nacional de Pediatría me hizo una trampa. Hasta ese momento yo vivía la hemofilia como muchos la viven: de forma egoísta porque nunca me había topado con otros pacientes. Pero ese día la doctora atrasó tanto la consulta que me tocó ver mamás llorando, niños con muletas y sillas de ruedas”.

“- ¿Su hijo tiene hemofilia?

- ¿Porque está así?

- Porque así es.”

“Esa resignación de una mamá me hizo preguntarle a la doctora porque esos niños estaban así y me respondió que no todos eran María Luisa y Eugenio, sino que había carencia y que nuestro país es muy pobre en el tratamiento del paciente con hemofilia porque en ese momento se les administraba un crioprecipitado y plasma”, agregó.

“La doctora me llevó a ver a un niño con ese tratamiento y era un sufrimiento horrible. Además, no eran las unidades respectivas y yo había escuchado en un congreso que si los niños recibían mayor cantidad en líquido o plasma podían tener un paro cardíaco. Le dije que había que hacer algo y me respondió que por eso me había citado”.

“Salí dando gracias a Dios de que mi hijo estaba bien y decidí enfrentarme a muchas cosas sola, algunos se anexaron, pero vivían su mundo y me volvían a dejar sola, pero no claudiqué y eso lo llevo en el corazón, no necesito que nadie me lo diga”, comentó.

La Sra. María Luisa Bastar también recuerda que en todas sus cartas para pedir ayuda, terminaba diciendo que necesitaba la luz de muchos cerillos para iluminar la sonrisa de un niño con hemofilia. “Si tú eres una de ellas sonríe, sólo recuerda que el fuego lo tomarás de la hoguera de Dios”, dijo.

Así consiguió apoyo en “hoteles de 5 estrellas donde me alojaba gratis porque mandaba cartas a muchos lados y alguien le contestaba que sí me daban la

11 www.lasalud.mx
La FHRM, fruto del trabajo de la Sra. María

cortesía”. Mexicana de Aviación también le cobraba muy poco dinero por el boleto.

Debido a su experiencia, Bastar de Abreu afirmó que para iniciar una causa no se necesita mucho dinero porque los cerillos están si uno los busca, pero hay que tener carácter. La madre Teresa de Calcuta, que fue una santa, prefería atender a sus enfermos que atender un reconocimiento. Nosotros tenemos que aprender de esos grandes hombres.

El Congreso Mundial de Hemofilia, un reto importante

La Sra. Bastar de Abreu recuerda el Congreso Mundial de hemofilia como un evento importante es su carrera: “Íbamos a pelear la sede para México, pero la quería un grupo de médicos y yo me opuse. Además, en el 94 el presidente de la Federación Mundial de Hemofilia enferma y muere de VIH. Así que vino al Congreso muy enfermo y nos deja solos. El Congreso inició en Milán y me fui sólo con boleto de ida y con el compromiso de pagarles los gastos a los médicos, pero no tenía dinero. Por fortuna, encontré un patrocinador y el pagó todos esos gastos”.

“Tras años de lucha yo seguiré en esto”

La Sra. Bastar de Abreu refiere que tras años de lucha ahora quiere dedicarse más a ella, a su pintura y hacer obsequios para los médicos porque les debe mucho. “Ellos han sido los grandes aliados, sin ellos no hubiera podido avanzar y me ayudan a sostenerme, y en Tabasqueña la mayoría de la junta directiva son médicos. Sin embargo yo seguiré en esto hasta que Dios me diga hasta aquí llegaste”, afirmó.

“Yo ya no acepto reconocimientos de papel, el reconocimiento lo obtengo cuando los pacientes salen caminando sin muletas ni nada, es una sensación que se lleva en el alma y es la mayor satisfacción”, explicó.

La Sra. María Luisa Bastar de Abreu finalizó la entrevista diciendo: “Gracias a Dios, mi familia y a los que están dirigiendo la FHRM porque es una satisfacción servir y animarlos, y decirles que estoy a sus órdenes para ayudar porque seguiré trabajando hasta que me muera”.

12 www.lasalud.mx

Felicita a todos los miembros de la Federación de Hemofilia de la República Mexicana (FHRM) por su enorme labor en estos 31 años.

Felicidades

Mejorar las condiciones de vida de las personas con Hemofilia:

Arq. Martha Monteros

Semblanza de la Presidenta de la FHRM (2001-2009)

Por: Redacción

LaSalud.mx.- En entrevista con la Arq. Martha Patricia Monteros Rincón, expresidenta de la Federación de Hemofilia de la República Mexicana A.C (FHRM), nos compartió su experiencia a cargo de la FHRM, así como el origen de su interés en el tema de la hemofilia.

Nos narró que en 1989, su primogénito, Pablo a los 5 meses de edad, fue diagnosticado con hemofilia tipo B severa. Tras esto, dejó de ejercer su carrera para dedicarse al cuidado de su hijo. Junto con su esposo Alberto, tomaron conciencia

que, con una buena atención médica y rehabilitación permanente, el niño podía llevar una vida normal y saludable.

En la actualidad, Pablo tiene 33 años y está felizmente casado. Estudió la carrera de administración y no tiene ningún tipo de daño en las articulaciones de piernas o brazos, síntoma muy frecuente entre las personas con hemofilia.

La arquitecta dijo que en esa época no era fácil encontrar información del tratamiento adecuado para la hemofilia, así como

medicamentos seguros y eficientes, ya que el tratamiento disponible solo era con base en transfusiones sanguíneas, las cuales no resolvían el problema y resultaban demasiado ineficientes e inseguras por las enfermedades postransfusionales.

La decisión de Alberto fue donar el plasma de su sangre para que el bebé no tuviera la necesidad de utilizar sangre insegura, situación por la que se prolongó por 7 años. Las necesidades transfusionales de Pablo fueron mayores a lo que su papá podía donar, pero en ese momento México

14 www.lasalud.mx

ya contaba con medicamentos adecuados gracias a la gestión de la FHRM. Por ellos, Martha Monteros decidió trabajar para mejorar las condiciones de vida de las personas con hemofilia en el país: en 1990 fue miembro fundadora de la Asociación de Hemofilia del Estado de México I.A.P., de la que fue presidenta de 1993 al 2001.

También, en 1991 fue miembro fundadora de la Federación de Hemofilia de la República Mexicana A.C. que presidió del 2001 al 2009, y se mantuvo como voluntaria hasta el 2017. Desde esa fecha inició el trabajo de voluntariado en la Coalición de las Américas (CoA), organismo que, bajo el paraguas de la Federación Mundial de Hemofilia (FMH-WHF), apoya a las organizaciones nacionales de personas con hemofilia de las Américas, para una mejoría sustancial en el tratamiento de la hemofilia en la región.

Por su trabajo, en el que consiguió tratamiento para las personas con hemofilia en México, recibió el Premio Frank Schnabel a la Voluntaria del Año en el Congreso Mundial de la FMH en París, en julio del 2012.

La arquitecta mencionó: “El 75 % de las personas con hemofilia en el mundo no tienen tratamiento adecuado o no tienen ninguno, poder trabajar para abatir esta desigualdad, reduciendo el dolor y la discapacidad en las personas que la padecen es un privilegio y una bendición, por el que bien vale hacer un compromiso de vida”.

15 www.lasalud.mx

Un padecimiento convertido en activismo: Carlos Gaitán Fitch

Semblanza del Presidente de la FHRM (2009-2015)

Por: Redacción

LaSalud.mx.- En entrevista exclusiva con Carlos Gaitán Fitch, expresidente de la Asociación de Hemofilia de Jalisco y Federación de Hemofilia de la República Mexicana, nos comentó sobre su acercamiento al activismo y voluntariado en pro del mejoramiento del tratamiento y de la atención de los pacientes con hemofilia.

Desde muy temprana edad el tema de la hemofilia estuvo presente en su vida, como afirmó: “Mis padres eran muy participativos en el periodo 1984-1992. A los 14 años en 1989, fui testigo de una reunión de un personaje de la Asociación Española de Hemofilia (ahora Federación), que vino a México a impulsar el movimiento asociativo en hemofilia. En esa reunión se organizaron quienes habrían de fundar la Federación de Hemofilia de la República Mexicana, A. C. dos años más tarde. Antes había que cumplir algunos requisitos. Tenían que existir al menos

5 asociaciones estatales de hemofilia en el país. La de Jalisco fue una de ellas, fundada por un entusiasta grupo de padres, entre ellos los míos”.

“En 1992, fui electo presidente de la Asociación de Hemofilia de Jalisco, A. C. para los siguientes tres años, durante este periodo trabajamos arduamente para mantener los gastos del albergue de la asociación, que daba cobijo a familiares de pacientes internados en el Centro Médico Nacional de Occidente (CMNO) en Guadalajara”, comentó Gaitán Fitch.

El expresidente narró que desde 1990 hasta 1994, estableció contacto con la Asociación de Hemofilia de San Diego, Estados Unidos de América (EUA), para recibir donativos de concentrados de factor, que en México no eran importados por ningún hospital, y periódicamente lo transportaba en su equipaje desde Tijuana a Guadalajara. Los gastos eran cubiertos por sus padres, ya que él acudía también a consulta médica en un hospital de San Diego.

16 www.lasalud.mx
izq-der: Patricia Romo, tesorera; Martha Monteros, secretaria; Carlos Gaitán, presidente; Manuel Gómez, vicepresidente. Periodo 2009-2011

“Durante esos años los pacientes acudían con sus recetas del Instituto Mexicano del Seguro Social (IMSS) y nosotros le poníamos el sello ‘surtido’ a todos los pacientes de Colima, Nayarit, Aguascalientes y Jalisco que recibían atención en el Centro Médico Nacional de Occidente”, dijo.

Fitch continuó: “Me enorgullece pensar sobre mis primeros aprendizajes en hemofilia, sin embargo, fue difícil para mí mantener el contacto en Estados Unidos, la coordinación y transporte de aquellas cantidades de factor, para luego realizar la donación y rendición de cuentas de las donaciones a cientos de pacientes”.

Por otra parte mencionó que la Asociación de Jalisco debía participar de la Federación de Hemofilia como miembro de pleno derecho. Se realizaban reuniones en la Ciudad de México a las cuales asistían con recursos personales, por lo que era el transporte más económico y de ida y vuelta. “En los foros participaban médicos y directivos de la Federación, de todos ellos, yo era el más joven con 18-19 años”, recordó.

Contó: “La Federación era presidida por María Luisa Bastar, su fundadora, quien con un enorme esfuerzo ganó para México la sede del Congreso Mundial de Hemofilia para el año 1994, como parte de la estrategia para convencer al gobierno mexicano que registrara e importara los factores de la coagulación.”

Gaitán tuvo la oportunidad de asistir a dicho congreso, al respecto dijo: “Como delegado joven, lo que implicaba participar del Taller para delegados jóvenes en los días previos al evento y a una serie de reuniones de planeación donde se discutían y decidían acciones de la Federación Mundial de Hemofilia”.

“Debido al éxito del Congreso y a las gestiones de la Federación con María Luisa al frente, en ese año (1994) el gobierno mexicano autorizó el registro de los

factores VIII y IX, y al Imss para comenzar su importación, eso significó iniciar una labor de aprendizaje que al día de hoy no ha terminado y probablemente no termine. Para ese año, cualquier persona con hemofilia en México conocía los componentes sanguíneos que se usaban para controlar los sangrados: el plasma fresco congelado y los crioprecipitados, todos sabíamos cómo conseguir la receta del médico, cómo gestionar que fueran surtidos y entregados a los servicios de banco de sangre, áreas de quimioterapia, urgencias o donde fuera que se aplicaran -en los pocos hospitales del país que tuvieran capacidad técnica-, eso implicaba a los pacientes y familias dominar los procesos administrativos de autorización, así como conocer los horarios de las personas responsables. También, implicaba conocer aspectos técnicos como el transporte de los componentes, su reconstitución para que no perdieran su capacidad de coagular, también sabíamos cuales equipos de transfusión eran los adecuados, debíamos saber cuáles eran los que tenían filtro porque si no se tapaban -y los destapaban generando presión en la manguera y provocando un ‘golpe’

dentro de la vena-, los que no eran cortos –porque había que permanecer sentados durante la transfusión-, las agujas gruesas para que no se taparan, las que se les podía retirar la aguja metálica y dejar el catéter suave para poder mover la mano o el brazo sin dolor”, comentó.

Detalló que, aunque estas labores eran responsabilidad del equipo de enfermería, había deficiencias en su capacitación, por lo que los pacientes exigían los insumos adecuados para una aplicación de transfusión menos dolorosa. No hay que olvidar que todo el tratamiento era a demanda, es decir que se aplicaba cuando había sangrado, y no de manera preventiva como es hoy en día.

“La etapa del plasma y crioprecipitados que duró de 1974 a 1994, coincidió con el principio de la pandemia de VIH/SIDA, que nos afectó muchísimo, ni siquiera se sabe cuánto exactamente, ya que el virus se transmite por vía sanguínea también -los componentes plasma y crioprecipitados son extraídos directamente de la sangre humana-; en ese entonces no se analizaba a los donadores, ni su paquete de sangre, ni los componentes, ni se usaban agujas y equipos desechables, la contaminación llegó a donadores y receptores; pacientes que necesitábamos sangre o sus componentes”, platicó.

Con respecto al plasma anotó: “Cuando el Imss comenzó a dispensar los factores VIII y IX derivados de plasma humano en 1994 fue en muy pocos hospitales del país. De pronto algunos comenzamos a utilizar un medicamento que, si tenía una clave de cuadro básico, que era contabilizado en el área de abastecimientos y farmacia, que tenía grandes diferencias contra el plasma y los ‘crios’, el llamado factor liofilizado inactivado viralmente, que no era lo mismo que la transfusión a la que estábamos acostumbrados, por lo que fue necesario aprender nuevamente cómo llegar al factor. El primer gran paso, como muchos, lo dio María Luisa. Ella se encargó de fotocopiar la

17 www.lasalud.mx

carta donde un funcionario del Imss le comunicaba que los factores ya se encontraban disponibles, así sin más, sin especificar un plan o programa”.

Sobre el tema del factor, continuó: “Muchos ya sabíamos que cosa era el factor, incluso lo habíamos recibido donado de organizaciones de Estados Unidos. Sabíamos también que los factores a mediados de los años ochenta también habían causado contagios de VIH, por lo que existía una resistencia a utilizarlos. Pese a ello, ocurrió un proceso de aprendizaje y de enseñanza, para entender de reconstitución, vida media, dosificación, claves de cuadro básico de medicamentos. María Luisa recorrió los hospitales del Imss, se entrevistó con autoridades y con hematólogos, les entregó en mano el oficio que los autorizaba para solicitar el abasto y recetar los factores. A la par, realizó cientos de conversaciones con pacientes y familiares, para darnos una copia del mismo oficio, y explicarnos que, si el médico no sabía de la existencia del factor en su hospital, éramos nosotros quienes debíamos hacérselo saber. Este proceso constituye

uno de los más grandes esfuerzos de cabildeo que la federación ha emprendido, pues la comunidad comprendió que los factores son superiores al plasma y los crioprecipitados ; en seguridad, eficacia, dependencia hospitalaria, autonomía del paciente, prevención de daño permanente por sangrado repetitivo en articulaciones y por supuesto en sobrevida, pues la media de personas con hemofilia no sobrevivían la juventud a causa de sangrados, y si lo hacían, era con gran discapacidad física debido a sangrados en articulaciones”.

Por estas razones, dijo que las asociaciones de hemofilia siguen el ejemplo de María Luisa, y se dedican a solicitar el abasto de factores, hospital por hospital, para que lo recetaran en dosis adecuadas. Así los estados comenzaron a recibir el tratamiento en su entidad, y no en la Ciudad de México o Guadalajara. De esta manera de 1994 a 2000 ya se tenían factores más cerca de los pacientes derechohabientes del Imss, así como del ISSSTE y de PEMEX, instituciones que siguieron el ejemplo y autorizaron las compras de factor después de la primera, sin embargo, la

Secretaría de Salud tardó mucho más en pagar el tratamiento de hemofilia.

“En Jalisco tuvimos una gran ventaja respecto a la forma de administrar el factor, pues desde 1990 la asociación conseguía y distribuía factor donado en EUA y con la ayuda de enfermeras particulares enseñamos a cientos de personas a inyectarse en la vena, a preparar el factor, a guardarlo con seguridad en el refrigerador de casa y transportarlo en frío. Incluso recuerdo las sesiones organizadas en el Banco de Sangre del CMNO entre 1982 y 1984, donde los madres y padres leían juntos copias del único libro en español sobre el tema, titulado ‘Hemofilia’ del inglés Dr. Peter Jones, donadas por la Asociación Española a la extinta Asociación Mexicana, que después se unió a la Federación de Hemofilia de la República Mexicana. Las copias eran difíciles de hacer porque no había fotocopias, pero con la ayuda de compañeros de trabajo de mi padre que laboraban en una empresa pionera en computación, transcribieron el libro e imprimieron muchas copias: los pacientes y familias tenían cada quien su copia y nos reuníamos en club de lectura para comentar, preguntar, discutir y compartir todo el conocimiento que ahí había”, recordó.

Narró que varios años después, a finales de 1997, sufrió una serie de sangrados de importancia en una rodilla que tenía lastimada desde 1981 y empeoraba aun teniendo algo de factor en el Imss. Al respecto dijo: “Ya no recibía consulta médica en San Diego, ni recibíamos donaciones de factor de allá, pues en 1994 les explicamos que el gobierno mexicano si estaba autorizando la compra a los hospitales y era nuestra labor lograr que esa atención médica y medicamentos se recibieran en México, pagados de los impuestos y de las cuotas de trabajadores asalariados. Ese sangrado me devolvió a la silla de ruedas que años antes ya había abandonado. Reconocimos que el daño en mi rodilla no se detendría solo con factor, sino que necesitaba la atención médica

18 www.lasalud.mx
izq-der: Martha Monteros (FHRM), Dr. Jose Luis Marquez, Karine Frisou (WFH), Cesar Garrido (WFH) Abril 2002 en el HIMFG para el inicio del GAP México

especializada de un traumatólogo y un rehabilitador físico Lo que sólo encontraría en Villahermosa, Tabasco, en la Asociación Tabasqueña de Hemofilia presidida por María Luisa Bastar a la par de la Federación de Hemofilia. Los médicos Zurita, Román y Capetillo, colaboradores de la asociación, brindaban su servicio altruista a personas con hemofilia y no fui la excepción. Me revisaron y elaboraron un plan de acción, mi recuperación implicaba vivir en el estado por dos años. Afortunadamente, volví a caminar en muy poco tiempo, con esfuerzo y vigilancia de los médicos reduje los dos años a 9 meses”.

Durante su estancia, reconoció: “María Luisa siempre estaba resolviendo problemas de muchos pacientes de cualquier parte del país. Así que un día, me presenté en su oficina y me ofrecí como voluntario. Lo primero que María Luisa me dio como tarea fue un parteaguas: me mostró un gran anaquel con el archivo de correspondencia de entrada y de salida, puso a mi disposición toda su correspondencia en orden cronológico y me invitó a leerla, y en la lectura de esos oficios pude

encontrar la secuencia de los planes de la Asociación Tabasqueña de Hemofilia. Ahí estaba la planeación del reconocido Centro de Enseñanza de Hemofilia, del que vi la maqueta cuando el sueño de construirlo era solo eso, y también para planear una red de colaboración con los hospitales de Tabasco para brindar entre todos, hospitales y asociación, lo que la literatura médica denomina Tratamiento Integral de Hemofilia, donde colaboran diversas especialidades médicas en la búsqueda de salud biopsicosocial de la persona con hemofilia, que es el modelo internacional”.

“En 1998 combiné la lectura de la correspondencia de Tabasqueña de Hemofilia con la traducción de textos sobre hemofilia del inglés al español para que la biblioteca especializada de la asociación creciera, también organicé el directorio de pacientes en una base de datos electrónica, incluyendo toda la información clínica y social que se solicitaba de cada uno en el formulario de inscripción a la asociación, planeé y organicé junto con Rafael Conde un taller de sexualidad para jóve-

nes con hemofilia que impartió una profesional del área en el marco del Congreso Nacional de Hemofilia Veracruz 1998”.

“La Asociación de Hemofilia en Jalisco atravesó grandes cambios en los siguientes dos años, pues un grupo joven lideramos las actividades, aspirando a los logros que ya conocíamos de Tabasco y también del Estado de México. Fue necesario volver a acciones básicas de fomento a la comunidad para reconstituir el grupo que se había dispersado después de que el albergue dejó de funcionar y cesaron las conferencias informativas para pacientes y familiares. También, fue necesario recobrar la confianza de médicos hematólogos que atestiguaron y lamentaron la falta de responsabilidad y objetivos en que cayó la Directiva de la Asociación de Jalisco entre 1995 y 1998 Esos cambios fueron propiciados por los jóvenes Eduardo Rodríguez, Martín Martínez y yo. Esto me permitió emprender nuevos horizontes en la Federación de Hemofilia en 2001, cuando María Luisa Bastar dejó las riendas de la organización y la asamblea de miembros eligió a Martha Monteros para presidir la Federación de 2001 a 2009. Tuve el honor de acompañarla como vicepresidente de la directiva durante toda su gestión. Ese era un momento crucial para sostener el trabajo de la Federación de 1991 a 2001 realizado por María Luisa, para plantear más objetivos y estrategias”, comentó.

Sobre su trabajo dijo: “A partir de 2006, mi trabajo se centró en exclusiva en la Federación de Hemofilia de la República Mexicana A. C., pero es necesario describir que desde el inicio de la gestión de Martha Moteros nos propusimos que la comunicación de la Federación Mundial de Hemofilia fuera respetuosa con México, con ello logramos la acreditación de pleno derecho en la Asamblea General de dicha organización. Así, “con el apoyo de directivos de la Federación Mundial establecimos una agenda de desarrollo con autoridades mexicanas, e iniciamos el Programa de Alianza Mundial para

19 www.lasalud.mx
Martha Monteros, Dr. Abel Bello y Carlos Gaitán en el Congreso Nacional de Hemofilia 2011 Ciudad de México

el Progreso (GAP por sus siglas en inglés) en México, que a la postre obtuvo diversos logros en seis ejes de desarrollo del tratamiento integral de hemofilia en México, siendo el más visible y significativo el obtener del Gobierno Federal el compromiso de financiamiento de la atención médica y factores de la coagulación a partir de la edad infantil a pacientes sin seguridad social a través del entonces llamado Fondo de Protección contra Gastos Catastróficos en enero de 2011, justo al final del Programa GAP en nuestro país. Además, tuve el honor de presidir la Federación al final del Programa Alianza Mundial para el Progreso en México, que firmamos en 2003 con la Federación Mundial de Hemofilia; organización que con mucho acierto reconoció que México es un país con un gran potencial y una gran experiencia en hemofilia y que nuestra organización siempre ha sido digna de confianza, al dar evidencia clara de representatividad y logros que benefician al paciente.”

“El Programa GAP México logró fortalecer la organización interna tanto de la Federación como de varias asociaciones estatales, renovar las gestiones con el Gobierno Federal y con algunos estatales para que se comprometieran con la hemofilia, e incrementar la pericia médica y de laboratorio en muchos lugares del país a través de las capacitaciones a rehabilitadores, ortopedistas, químicos, hematólogos, odontólogos, enfermeros, etc. Del 2003 a 2010 los simposios médicos en el marco de nuestros Congresos Nacionales -y en otros eventos- capacitaron a más de 700 profesionales de la salud. En noviembre de 2010, también como parte del GAP, se inició un proyecto de diagnóstico e identificación de pacientes con enfermedad de von Willebrand en Jalisco, una iniciativa que se realizó simultáneamente en Líbano y Egipto”, habló sobre el programa GAP.

“En varias ocasiones delegados de la Federación Mundial de Hemofilia encabezados por Cesar Garrido Donado, voluntario y directivo venezolano de la

FMH actual, estuvieron con nosotros para reunirnos en conjunto con autoridades del Seguro Popular para que la hemofilia fuera financiada a través de esta institución, una de las piedras angulares para ello fue el reconocimiento a partir del 2006 de la hemofilia y la enfermedad von Willebrand como enfermedades que ocasionan gastos catastróficos por parte del Consejo de Salubridad General. Para ello, fue indispensable la participación de la Dirección de Priorización del Consejo de Salubridad General, quien gestionó una reunión de un Comité Médico para evaluar el protocolo de Hemofilia del Consejo de Salubridad General, donde participaron varios asesores de la Federación”, apuntó.

Gaytán refirió que en junio de 2010, el Comisionado del Seguro Popular, Salomón Chertorivski, escuchó de viva voz su solicitud para que él mismo propusiera que la hemofilia y EvW fueran financiadas por el Fondo de Protección contra Gastos Catastróficos. De inmediato accedió que ambas eran financiables a cabalidad. Sin embargo, pasaron las semanas y no se cumplió el acuerdo, por lo que se entregaron 260 cartas de solicitud a: diputados federales y senadores de la LXI Legislatura de las Comisiones de Salud, Derechos

Humanos, Equidad de Género, Participación Ciudadana, Atención a Grupos Vulnerables, Deporte y Juventud, Desarrollo Social, Seguridad Social. En estas se solicitaban cuatro puntos:

a) Que se estableciera una Norma Oficial Mexicana para la atención de las deficiencias de la Coagulación.

b) Que se estableciera un Programa Nacional de deficiencias de la Coagulación.

c) Que se prohibiera el uso de componentes sanguíneos para la Hemofilia.

d) Que se incluyera a Hemofilia y Enfermedad von Willebrand como enfermedades atendibles en el Seguro Popular.

“Respondieron varios diputados federales y senadores, quienes presentaron al Pleno diversos puntos de acuerdo por nuestra causa, el cumplimiento al acuerdo del Comisionado del Seguro Popular tuvo lugar semanas antes del anuncio público del Presidente de la República, cuando en el evento de clausura del Programa GAP y ante la presencia del

20 www.lasalud.mx
Carlos Gaitán y Cesar Garrido-actual presidente de Federación Mundial de Hemofilia, foto de 2012 durante el arranque de la competencia en aguas abiertas de jóvenes con hemofilia de México y Venezuela realizada en Cancún

Presidente de la Federación Mundial de Hemofilia Mark Skinner y del Vicepresidente del Senado Dr. Ricardo García Cervantes, el propio Comisionado Chertorivski anunció que a partir de enero de 2011 comenzaría el financiamiento de la atención médica y los concentrados de la coagulación para niños que fueran diagnosticados antes de cumplir 11 años en establecimientos autorizados para tal fin”, prosiguió.

Con este reconocimiento recordó: “creamos en 2001 el Registro Nacional de Personas con Hemofilia que posteriormente se denominó Registro Mexicano de Coagulopatías (RMC). A partir de esta base de datos se contó con información de características sociodemográficas y clínicas de las principales complicaciones inmunológicas, músculo esqueléticas y serológicas, así como el lugar de tratamiento hematológico, incluyendo medios de contacto de personas con y sin seguridad social de todas las edades y entidades federativas del país, así como una base de datos de personas fallecidas con diagnóstico de coagulopatías, incluyendo la causa y fecha del deceso. Fue posible conjuntar la información de 14 asociaciones estatales de hemofilia y de la propia Federación en un par de meses, que re-

sultó en 2 mil 098 personas, cifra que se incrementa paulatinamente hasta el día de hoy. De manera participativa y con el apoyo de las asociaciones de hemofilia se realizaron sendas campañas de localización y diagnóstico de personas con hemofilia en varios estados con lo que se logró identificar a 2 mil 500 personas más en el lapso de ocho años en que se realizaron las campañas, pero en total se incrementó un 234 % el número de casos, solo buscando a las personas desde el inicio del Registro Nacional”.

“En 2009 fui electo presidente de la Junta Directiva de la Federación de Hemofilia, hasta ese momento solo madres de pacientes habían sido electas a dicho cargo. En ese momento, gracias a la victoria en el acceso a las terapias del año 94; muchos niños, jóvenes y adultos tenían ya 15 años recibiendo una atención médica dignificada con medicamentos seguros y eficaces, lo que les permitió de manera más evidente sobrevivir a la temida corta expectativa de vida y concebirse a sí mismos como personas que podían soñar con un futuro y elaborar un proyecto de vida”.

“Yo, como muchos de mi generación atravesamos los años de la pandemia

del VIH sin factores y viviendo con dolor, sin mayor expectativa que llegar al siguiente día sin dolor incapacitante, no había lugar para hacer planes de vida, jugar a que queríamos ser de grandes o plantearse terminar la escuela o estudiar una carrera ¿para qué si el dolor seguiría ahí y seguiría aumentando la discapacidad física? ¿Para que si temíamos contagiarnos del virus en cualquier transfusión de componentes sanguíneos? Veíamos la misma sombra en el ánimo de los médicos ¿para qué consultar a estos pacientes si no podemos recetarles los medicamentos necesarios, si solo les damos analgésicos y componentes sanguíneos qué podrían infectarlos?”

La gestión de la Junta Directiva de la FHRM que presidí de 2009 a 2015, dio continuidad a las metas estratégicas elaboradas en 2004: alcanzar el financiamiento para pacientes sin seguridad social, sin embargo, el día a día estaba lleno de situaciones problemáticas en hospitales por todo el país debido a la falta de factores y dosis inadecuadas. Los médicos ejemplares sufrían acoso laboral para doblegarlos a recetar tratamientos insuficientes o incompletos, persistieron los de carácter fuerte y ética centrada en el paciente, sin miedo a las consecuencias sobre sus beneficios contractuales o a la mala voluntad del patrón.

Otra iniciativa importante para el periodo 2009-2011 se denominó Movimientos por la Hemofilia -que no eran una novedad-, ya antes se habían desarrollado la Cruzada Nacional a favor de las personas con Hemofilia y la Caravana Alcanzando Metas por la Hemofilia; donde dichos movimientos tenían por misión arraigarse en las asociaciones y mostrar la capacidad de cada uno de sus voluntarios. El objetivo era presentar el tratamiento de la hemofilia desde las especialidades en Rehabilitación, Odontología, Química, Psicología, Enfermería, Trabajo Social y otras disciplinas, tanto a estudiantes de medicina, médicos tratantes, autoridades, personal médico de primer contacto, medios de co-

21 www.lasalud.mx
izq-der: Patricia Romo, tesorera; Martha Monteros, secretaria; Carlos Gaitán, presidente; Dra. María Antonieta Velez, vicepresidenta médico; Pilar Gil, vocal; Miguel Izquierdo Franco, vocal directiva periodo 2011-2013

municación y por supuesto a las familias con hemofilia. Fueron más de 970 las personas que asistieron a los simposios, talleres, charlas, conferencias y entrevistas que se realizaron en cinco asociaciones estatales de Hemofilia.

“Un proyecto que recordamos con mucho orgullo es la habilitación de la Casa de la Hemofilia en la CDMX para ofrecer servicios a personas con hemofilia. En el país solamente la Asociación Tabasqueña de Hemofilia y la Federación de Hemofilia ofrecían el servicio de rehabilitación a pacientes con Hemofilia, fuera de los hospitales y de manera asistencial”. Tabasqueña de Hemofilia tiene ya una larga trayectoria de más de dos décadas brindando además todos los servicios de especialidad para el tratamiento integral en el Centro de Enseñanza de Hemofilia en Villahermosa, Tabasco. “Sin embargo, en la Federación iniciamos en 2011 a transformar y equipar la Casa de la Hemofilia en Ciudad de México para brindar el servicio de rehabilitación, con la donación de equipos nuevos por parte de benefactores, la dirección y consultas médicas del Dr. Francisco González Martínez y la administración de los señores

Araceli Palencia, Martina Núñez y José Luis Fuentes, todos padres de personas con hemofilia”, narró.

En otro tema, mencionó: “El evento conocido como Entre Líderes que realiza

la Federación actualmente nació en 2009 como Encuentros de Jóvenes, eran proyectos financiados por la Federación Mundial de Hemofilia a través del hermanamiento con la Federación Española de Hemofilia, lo realizamos bajo mi gestión como presidente en 5 ocasiones y congregó a decenas de hombres y mujeres jóvenes destacados en sus asociaciones estatales, por su participación y voluntariado. En consecuencia el hermanamiento con España se concentró en el desarrollo de liderazgos jóvenes, en fomentar la toma de decisiones personales y comunitarias en el proceso salud-enfermedad, buscando que pronto participaran los jóvenes en las directivas de sus asociaciones de hemofilia”.

Sobre los encuentros comentó: “Logramos a través de los encuentros que varios jóvenes nos representaran en congresos mundiales de hemofilia, también que otros se involucraran activamente en la búsqueda de personas con deficiencias de la coagulación en sus estados, otros jóvenes asumieron la responsabilidad de dar difusión en medios de comunicación de las actividades de sus organizaciones,

22 www.lasalud.mx
izq-der: Erick Ávila, vocal; Patricia Romo, tesorera; Carlos Gaitán, presidente; Miguel Izquierdo, vicepresidente; Martha Monteros, secretaria; Andrés Santos, vocal; Junta Directiva periodo 2013-2015 Dr. Rogelio Paredes en Congreso Nacional de Hemofilia

otros más fueron electos como directivos en sus estados, participaron en diversas reuniones con autoridades hospitalarias y en las comunicaciones internas de la asociación. Otros jóvenes se involucraron en actividades de recaudación de fondos para sus asociaciones y en la elaboración de folletos didácticos sobre hemofilia. Una vez que alcanzamos el hito anhelado con el financiamiento del tratamiento de hemofilia y enfermedad von Willebrand en 2011 a través del Fondo de Protección contra Gastos Catastróficos, fue necesario planear estratégicamente de nuevo: realizamos un gran esfuerzo de análisis en el que se involucraron más de 60 personas con diversos perfiles; médicos tratantes, autoridades federales y estatales de salud y seguridad social, asociaciones de hemofilia, representantes farmacéuticos, organizaciones aliadas, pacientes, cuidadores y por supuesto asesores y directivos de la Federación de Hemofilia”.

Carlos Gaytán dijo que se elaboraron un documento rector de las actividades y programas de la organización para los siguientes seis años centrado en defender el derecho a la salud y establecer una base sólida para el tratamiento integral de las deficiencias de la coagulación en México Las acciones irían encaminadas a:

1) Lograr el tratamiento anunciado con la inclusión de Hemofilia y enfermedad von Willebrand en el Catálogo de Intervenciones del Fondo de Protección contra Gastos Catastróficos.

2) Fomentar el abasto, la seguridad y las normas de atención.

3) Desarrollar en profesionales de la salud y pacientes; el conocimiento, formación y capacidad de brindar y recibir atención médica integral de calidad.

4) Utilizar el Registro Nacional de Personas con Hemofilia para el establecimiento de un dispositivo médico de utilidad a autoridades, clínicas, médicos, profesionistas y organizaciones en el mejoramiento del tratamiento integral.

5) Reforzar la imagen institucional mediante la divulgación y profesionalización de los servicios, actividades y comunicaciones.

“En diciembre 2011, se reformaron los artículos 342 Bis 1 y Bis 2 de la Ley General de Salud, y con eso se abrió la posibilidad de que los plasmas excedentes de la donación de sangre fueran utilizados para elaborar hemoderivados, es decir factores de la coagulación entre otros productos, lo que constituía un grave riesgo ya que no se contaba con algún marco regulatorio. Aunado a lo anterior, en marzo de 2012 dos diputados intentaron cambiar la Ley General de Salud en los arts. 327 bis y otros, para incorporar algunos tipos de contratos económicos que

podrían celebrarse con la industria farmacéutica, así como también cambios propuestos al Art. 340 relacionados con la diferenciación que se haría entre sangre y tejido, que excluía de manera implícita a la sangre de la normativa de tejidos, y que flexibilizaría de manera alarmante el control sanitario de la sangre y sus derivados. En ese momento, año 2012, todos los concentrados de los factores de la coagulación de origen plasmático que se utilizaban para el tratamiento de la hemofilia en México eran importados de los Estados Unidos o de Europa, donde se tienen los más altos controles de selección de donadores de plasma, así como los máximos estándares para manufactura de los productos”, señaló.

Partiendo de que la NOM-253-SSA1-2012 aclara en su inicio que no regula de forma alguna los concentrados de la coagulación o su elaboración, y que no existe ninguna ley, norma o regulación que establezca cómo se elaborarían en el país los concentrados de la coagulación. A este respecto dijo: “Estábamos ante una falta total del marco regulatorio que garantizara la calidad de los concentrados que se pudieran fabricar en México, poniéndonos ante un riesgo similar al que se vivió en la década de los ochenta cuando la epidemia del VIH/SIDA sacudió a la comunidad mundial con hemofilia. Para solucionarlo, nos aliamos con otras organizaciones de pacientes y de médicos para crear la Red por la Seguridad Sanguínea y manifestamos públicamente el grave riesgo para la población mexicana, ocurrió entonces que una empresa farmacéutica nos buscó y manifestó su descontento por oponernos a las iniciativas de Ley antes mencionadas. Expresó que su interés era utilizar el plasma mexicano, así como el centroamericano y sudamericano para fabricar con él los factores de la coagulación y derivados del plasma a partir de 2012 en una planta en México que ya casi estaba terminada”.

“Era evidente que, en las acciones de la Cámara de Diputados, existió la intención de favorecer que se utilizara la sangre

23 www.lasalud.mx
El Dr. Paredes con la Dra. Adolfina Berges

y sus derivados de forma comercial. Sin embargo, sin un riguroso escrutinio de la seguridad de la sangre y sin un marco regulatorio para una planta procesadora de plasma, esto sería un grave riesgo para los pacientes usuarios, por la falta de seguridad y calidad de los productos. Con la ayuda de los asesores expertos y científicos, nos dimos cuenta que los diputados no lo pensaron bien. En consecuencia, expusimos nuestras preocupaciones ante la Comisión de Salud de la Cámara de Diputados: la falta de un marco regulatorio para la producción de los derivados del plasma. Salimos a conferencia de prensa para sacar a la luz pública las mencionadas intenciones y que se ventilaran las posibles irregularidades.

Nuestros asesores emitieron sus comentarios para mejorar el proyecto de la NOM-253-SSA1-2009, mismos que no fueron tomados en cuenta ‘por motivos económicos’. Ante COFEPRIS documentamos y expresamos nuestra preocupación del riesgo sanitario de bajar los estándares de control a la sangre, volvimos a medios con otras organizaciones de salud y conformamos la Red por la Seguridad Sanguínea ante las debilidades de la NOM-253-SSA1-2012 y la falta de marco regulatorio para la producción de derivados de plasma en México.

Durante la lucha, encontramos algunos senadores aliados, encabezados por el Dr. Fernando Mayans Canabal, con quien acordamos que presentaría una iniciativa de reforma a la Ley General de Salud, en materia de seguridad sanguínea, que estableciera mejores estándares al control de la sangre donada, la puerta a los contratos de comercialización de sangre donada y a la importación de plasma para fabricación de concentrados de factor en territorio nacional ya que existe una falta de regulación en la materia.

Dicha reforma a diversos artículos de la Ley General de Salud fue elaborada en su totalidad por nosotros, la iniciativa fue

aprobada por Comisiones del Senado, posteriormente por el Pleno de la Cámara de Diputados y promulgado en el Decreto en abril de 2015 por el Ejecutivo. En ese proceso fue fundamental y decisiva la participación de cientos de personas con hemofilia y sus familiares que escribieron cartas al Senado de la República manifestando su preocupación y desacuerdo sobre la Ley General de Salud y la NOM sobre sangre y sus componentes”, narró.

“Los casi tres años que mantuvimos la campaña de la Red por la Seguridad Sanguínea fueron unos de los más significativos y extenuantes de mi trabajo en la Federación de Hemofilia. La colaboración realizada día tras día con Martha Monteros, Miguel Izquierdo de la Directiva de la Federación y con Luis Adrián Quiroz de la organización Derechohabientes viviendo con VIH dejó como resultado un panorama de certidumbre para los siguientes años, en que miles de mexicanos permanecimos utilizando factores de origen plasmático de calidad. Entre 2011 y 2013, realizamos una investigación documental de la situación del tratamiento de hemofilia en el Sistema Nacional de Salud, con base en archivos oficiales obtenidos a través de los órganos de transparencia. Previamente realizamos un entrenamiento en el uso de las plataformas de transparencia y la formulación de requerimientos de información gubernamental.

Se identificaron a los sujetos obligados a quienes se requeriría información; que eran hospitales con figura de Organismo Público Descentralizado, Delegaciones estatales de los Institutos de Seguridad Social, Institutos Nacionales de Salud y hospitales de alta especialidad, así como Servicios Estatales de Salud, que son hospitales o conglomerados de hospitales bajo la misma autoridad administrativa, de esa forma la información obtenida correspondería a 458 hospitales del segundo y tercer nivel de atención del país”, comentó.

Los requerimientos de información se separaron en cuatro áreas:

a) Compras y Financiamiento de concentrados.

b) Formación específica en coagulopatías del personal de Hematología.

c) Indicadores básicos de acceso y programación para la atención multidisciplinaria, diagnóstico de precisión, comorbilidades, defunciones y discapacidad.

d) Trazabilidad y registro en expedientes del tratamiento con concentrados utilizado por los pacientes.

Una vez transcurrido el tiempo de respuesta y de los recursos de revisión por respuestas no satisfactorias se sistematizó la información y se redactaron los hallazgos. A lo que describió: “En primer lugar, encontramos que muchos de los sujetos obligados carecen de competencias o voluntad para transparentar la información. Respecto a los objetivos de la investigación concluimos que el estado mexicano carece de indicadores estandarizados para vigilar y evaluar el tratamiento de hemofilia. Únicamente en 64 hospitales (14%) concurría la compra de concentrados, con pacientes en consulta y con adscripción de Hematólogo. Una situación irregular que averiguamos es que 152 hospitales reportaron que no tienen Hematólogo ni se identificó a pacientes en la consulta, pero si reportaron compras de concentrados”.

Sobre los procesos de judicialización para la exigibilidad del derecho a la salud de personas que viven con hemofilia en México, Gaitán comenta: “Esa intensa labor que significó un cambio radical en la vida de aquellos valientes que se decidieron a demandar en juzgados a sus hospitales, también fueron planeados como deman-

24 www.lasalud.mx

das paradigmáticas que cambiarían el tratamiento de todos los demás”.

“Nuestra apuesta era que el empoderamiento de las personas con hemofilia tiene fundamento en la comprensión que ellos mismos hagan de sus derechos, de su titularidad como sujetos de derechos. A través de una estrategia formativa planteamos en los congresos de hemofilia de 2007 y 2008 que las deficiencias en el tratamiento eran motivo para demandar a los hospitales, con el objeto de eliminar los obstáculos administrativos que impedían que los tratamientos fueran suministrados tal y como el médico los indicaba”, agregó.

“Posteriormente, dos grupos de pacientes de Ciudad de México, uno pediátrico y otro de adultos, llegaron a la conclusión que el hospital omitía brindarles tratamiento integral de hemofilia y tomaron la decisión de demandar el amparo de la justicia para que fuera garantizado su derecho a la mejor atención y medicamentos, en hemofilia eso significa que se reciba atención médica integral y multidisciplinaria con concentrados de factores de la coagulación seguros y eficaces en esquema preventivo y proporcionados en el domicilio del paciente de forma mensual, incluyendo una can-

tidad para controlar sangrados espontáneos. El juez determinó que en efecto así debe ser suministrado el tratamiento y dio orden a los hospitales para que cumplieran su responsabilidad, la demanda de los adultos, además, sentó un precedente ya que el amparo obtenido para que el hospital cumpliera lo ordenado por el juez fue ratificado por la Suprema Corte de Justicia de la Nación en 2016”, continuó.

Gaitán reconoce que en la actualidad existen nuevos modelos de participación ciudadana. Los sistemas de salud y de regulación de medicamentos incluyen cada vez más a los grupos de pacientes y a pacientes expertos en los procesos que conducen a la toma de decisiones respecto a nuevos medicamentos o procedimientos. Esto para que se incluyan en los planes de cobertura, bajo esquemas y criterios, dependientes de a que poblaciones de pacientes cubre, etc. Ese proceso está orientado a llevar al paciente al centro de los procesos como una voz experta en la enfermedad y el tratamiento que oriente a los tomadores de decisiones; en busca de que mejore la atención y con ello la calidad y expectativa de vida de las personas, que se reduzca su carga de tratamiento,

no solo de la enfermedad. En diferentes países los actores que tradicionalmente toman parte de la toma de decisiones son los denominados ‘pagadores’, los reguladores, los médicos, los políticos y también los administradores de los hospitales, sin embargo, esa arena donde se desarrolla la toma de decisiones ha comenzado a abrirse a reconocer y valorar la opinión del paciente.

Finalmente, Carlos Gaitán detalló: “El Seguro Popular –ahora INSABI- llegó en 2011 con muy buenas noticias para quienes no tenían seguridad social y aún no cumplían 11 años de edad; les ofreció y cumplió las consultas médicas, los análisis y los concentrados de factor. Cuando ocurrió el anuncio se calculó que 250 niños serían beneficiados y que la cifra aumentaría al doble en 10 años. En Jalisco comprobé que, si funciona, mi hijo también tiene hemofilia A grave y recibe profilaxis de Factor VIII recombinante, desde hace 9 años en el Hospital General de Occidente junto con otros 30 niños. Desde la entrada en vigor del INSABI en 2020 ha habido dificultades, principalmente por la no adhesión de mi estado, sin embargo -aunque con algunos retrasos- el medicamento no ha faltado, suponemos que es el gobierno estatal quien lo paga ahora en lugar del INSABI; pero pienso en todas las familias que no tienen seguridad social y tienen integrantes con hemofilia de todas las edades, ellos debieran continuar siendo la prioridad, la disparidad en el acceso al tratamiento es muy grande en México, pero la experiencia es positiva. No sé cuántas habrá en otros estados, pero aquí hay 30 familias sin seguridad social que no han gastado ni un peso en consultas, análisis y factor en la última década, eso les garantizó no incrementar su gasto en salud, no perder su patrimonio comprando escasos frascos de factor, les permitió normalizar sus vidas en los ámbitos personal, familiar, social, académico y laboral, a los pacientes y a sus familias.

25 www.lasalud.mx
Carlos Gaitán a la derecha, durante un Encuentro de jóvenes

objetivo es que el paciente tenga acceso a un esquema de tratamiento preventivo: Miguel Izquierdo

Por: Redacción

Semblanza del Presidente de la FHRM (2015 – 2017)

LaSalud.mx.- En entrevista con Miguel Izquierdo Zarco, expresidente de la Federación de Hemofilia de la República Mexicana A.C. (FHRM), nos relató su experiencia en el puesto durante el período de 2015 a 2017.

Resaltó que es una persona con hemofilia A moderada. Nació en Morelia, Michoacán, en 1988. En su familia no existen antecedentes de esta enfermedad y, prácticamente, nadie había escuchado el término.

Sobre su experiencia como persona con hemofilia detalla que los primeros sangrados de articulación y moretones aparecieron antes de empezar a caminar. Una vacuna le inflamó el brazo de forma considerable cuando sus padres se dieron cuenta de que algo estaba mal. Gracias al consejo de una tía decidieron comenzar a buscar a opiniones médicas y un diagnóstico que se tardó bastante tiempo, y dado en la Ciudad de México; ya que el acceso a diagnóstico y atención para cualquier desorden de la coagulación estaba limitado a unos cuantos centros, la mayoría de ellos concentrados en las principales ciudades del país.

“Desde que fui diagnosticado, mis padres recibieron una mala noticia tras otra: desde las pocas posibilidades de llegar a ser adulto y el inminente riesgo de muerte en cada esquina, hasta la certeza de la discapacidad que aparecería de un momento a otro; pues se consideraba que discapacidad y hemofilia estaban ligadas y la primera era siempre resultado de la segunda sin escapatoria posible”, narró.

“Tras el diagnóstico, mis padres regresan a Michoacán y se encuentran con Don Rafe Corona, quien acaba-

ba de formar la Asociación de Hemofilia de Michoacán. En ella encontraron un espacio de mucho aprendizaje y apoyo, pero también de un miedo constante al ver la situación en que los pacientes mayores se encontraban: discapacidad, uso constante de muletas, bastones y sillas de ruedas, así como muchos fallecimientos”, continuó.

Mencionó que en ese momento el acceso a concentrados de la coagulación era nulo. Fue hasta 1994 que la presión de la FHRM hizo que el Instituto Mexicano del Seguro Social (IMSS) comenzara a tenerlos, pero al no ser derechohabiente del instituto, esta no era una posibilidad para él. Aunado a esto, la epidemia del Virus de la Inmunodeficiencia Humana (VIH) estaba arrasando a la comunidad y cada sangrado representaba el terror de tener que utilizar transfusiones de sangre o críoprecipitados. Por desdicha, muchas personas resultaron contaminadas al buscar atención a sus sangrados y muchos otros todavía viven con las consecuencias.

El inicio de un impresionante activismo

“En 1997, mi papá toma el liderazgo de la Asociación, lo que hizo que creciera viendo el voluntariado como una parte central de mi vida. Porque mucho del tiempo familiar se dedicaba al trabajo de la organización. Sin embargo, para mí era una oportunidad de involucrarme, lo que me permitió acudir a muchos Congresos Nacionales de Hemofilia organizados por la FHRM e, incluso, algunos campamentos”, recordó.

“En el 2008, Carlos Gaitán y Martha Monteros nos invitan a un par de pacientes a participar en el

26 www.lasalud.mx
El

Hemojuve en Murcia, España, a través del hermanamiento que existía entre las federaciones mexicana y española. Esta es una reunión de jóvenes que se lleva a cabo en España con el objetivo de formar nuevos líderes y generar lazos entre los jóvenes de la comunidad. Esta oportunidad me permitió conocer como era vista la hemofilia en otros lugares y entender que no solamente era una opción el tener un mejor tratamiento y una vida plena, sino que es una obligación de todos el trabajar para que se garantice que todas las personas tengan acceso a un tratamiento de calidad”, prosiguió.

Tras ello, mecionó: “comenzó un involucramiento más directo en las labores de la FHRM a través de los entrenamientos a jóvenes (llamados en México entre líderes) y de diversas actividades que se desarrollaron en todos estos años; incluyendo campañas legislativas y en redes sociales para garantizar la seguridad de la sangre utilizada en México que estaba en riesgo de ser afectada por iniciativas gubernamentales y que, afortunadamente, fue modificada gracias a la acción de la sociedad civil”.

“En 2013 fui invitado a participar como vicepresidente de la federación y pude involucrarme más activamente en diferentes iniciativas siendo este un período de mucho aprendizaje porque tuve la oportunidad de entender cómo funcionan las organizaciones desde el interior, especialmente una organización del tamaño de la FHRM, que agrupa organizaciones estatales y que tiene en sus hombros la responsabilidad de representar a miles de personas con un desorden congénito de la coagulación”, contó.

Más tarde, dijo que en 2015, la Asamblea de la FHRM le dio la oportunidad de fungir como presidente y pudieron continuar

muchos de estos proyectos, así como concretar algunos otros: como la conmemoración de los 25 años de la FHRM en compañía del entonces secretario de salud, el Dr. José Narro; la publicación del Manual de Atención Interinstitucional; y la obtención del Premio Nacional al Voluntariado para organizaciones de la sociedad civil entregado por la Coparmex.

“De estos años me llevo la oportunidad de trabajar con los líderes estatales de asociaciones de hemofilia, así como los valiosos miembros de la junta directiva, asesores, y médicos voluntarios; quienes dedican jornadas enteras, tiempo personal y recursos propios para mejorar las condiciones de vida de las personas con hemofilia, enfermedad de Von willebrand y otros trastornos congénitos de la coagulación en México”, apuntó.

Sin embargo, Miguel Izquierdo reconoce que el trabajo de las organizaciones de la sociedad civil siempre es complicado porque quieren garantizar que los recursos sean suficientes y que estos se utilicen correctamente para maximizar los resultados. Por lo que se tiene que luchar para convencer autoridades de salud que sus objetivos están alineados.

“Desde el año 2017 dejé la presidencia de la FHRM para integrarme como gerente regional de la Federación Mundial de Hemofilia (FMH), lo que me ha permitido tener otra perspectiva sobre el trabajo voluntariado y las necesidades del país, pero siempre con mi reconocimiento a todos los voluntarios que día a día trabajan en beneficio de la comunidad con desórdenes congénitos de la coagulación en México”, finalizó.

27 www.lasalud.mx

Un tratamiento adecuado y oportuno para que los pacientes cuenten con una mejor calidad de vida: Mtro.

Alfonso Quintero

Semblanza del Presidente de la FHRM (2017-2019)

Por: Redacción

LaSalud.mx.- En entrevista con Alfonso Quin tero, Maestro en Ciencias en Conservación y Manejo de los Recursos Naturales y Medio Ambiente, así como expresidente de la Federación de Hemofilia de la República Mexicana, A.C. (FHRM), nos comentó sobre su experiencia e historia, desde que en sus primeros años de vida le diagnosticaron hemofilia moderada tipo B, deficiencia de factor IX.

“A mi hermano se le diagnostica; al igual que a mí la hemofilia, por lo que nos cambiamos de lugar de residencia, dadas las condiciones de falta de tratamiento en la localidad rural donde vivíamos. A la edad de 6 años mi hermano pierde la vida a causa de un episodio de sangrado no atendido adecuadamente, la causa fue un derrame intracraneal mal atendido”, recordó el maestro.

El maestro Quintero comentó que en ese tiempo se disponía de tratamiento solo con derivados de sangre, como era plasma fresco congelado para hemofilia B y crioprecipitados para hemofilia A.

Sobre el contexto de deficiencias en la atención de los pacientes con hemofilia, dijo: “A finales de los años 80 se inician acciones de integración de un grupo de pacientes y familiares para formar la Asociación de Hemofilia de Durango, A.C. (AHED), a la cual nos integramos a principios de los 90. Este organismo se inició con el liderazgo del Señor Fabián Vega Ceniceros y el Dr. Ulises Reyes Lugo. Así, se formaliza la integración de la AHED, con la intención de llevar a cabo reuniones de capacitación a los pacientes y familiares. Después, la Asociación se integra a la Federación de Hemofilia de la República Mexicana, A.C. (FHRM), la cual formaliza su constitución en el año de 1991”.

Alfonso Quintero comenzó a asistir a los Congresos Nacionales organizados por la FHRM, con la

finalidad de capacitar a pacientes, familiares y personal de la salud debido a su participación en la AHED.

“En 2005, a raíz del fallecimiento del señor Fabián (presidente de la asociación AHED), y por recomendación para continuar con las acciones de la Asociación, en diciembre del mismo año soy electo Presidente de la Junta Directiva de la AHED”, señaló. Este cargo lo desempeñó hasta el año 2017 cuando solicitó licencia para postularse al cargo de presidente de la Junta Directiva de la Federación de Hemofilia de la República Mexicana, a solicitud de un grupo de expresidentes de la FHRM que apoyaron la iniciativa.

Al respecto narró: “Estuve al frente de la FHRM durante el periodo de julio de 2017 a julio de 2019; desarrollando diversas acciones, siempre siguiendo el objetivo con el que fue creada la Federación: capacitar a pacientes, familiares y personal de la salud, buscando siempre un tratamiento adecuado y oportuno para que los pacientes cuenten con una mejor calidad de vida”

En la actualidad, Alfonso Quintero continúa apoyando a la Asociación de Hemofilia de Durango en el cargo de Vicepresidente.

28 www.lasalud.mx

Jugando y educando entorno a la Hemofilia

LaSalud.mx.- Para cumplir con el objetivo de informar y educar a la población en general sobre el padecimiento de la hemofilia, la división de Psicología Hematológica de la Federación de Hemofilia de la República Mexicana (FHRM) ha implementado una de las estrategias más recientes y lúdicas al hacer adaptaciones de los juegos de mesa Uno y Serpientes y escaleras. Los psicólogos Armando Arita y Ezequiel Martínez Martínez crearon Fortaleza y Factor On con base en la psicología del bienestar para dar a conocer el tema a pacientes, médicos y familiares.

El nombre del segundo juego está inspirado en la proteína de la que carecen las personas con hemofilia, y cuenta con cartas especiales que explican el padecimiento, la adherencia al tratamiento y cómo el factor debe de ser administrado. Este se juega a partir de los seis años de edad y es posible adquirirlo

directamente en la FHRM solicitando una cita vía telefónica o por medio de las redes sociales de la federación.

Por otra parte, en días recientes, se celebró el primer curso de atención psicológica dirigido a profesionales de la salud que atienden este padecimiento, pero que carecían de las herramientas específicas para atender la salud mental de sus pacientes. Los más de 70 egresados de este programa conocieron temas como piscología hematológica, autocuidado, crianza positiva, entre otros.

También se celebró el 3° Encuentro Internacional Publicación Psicoanalítica con el objetivo de crear una red mundial de psicología hematológica integral. “Unidos inspirando vida” promovió una serie de conferencias con expertos, así como talleres dirigidos a pacientes y familiares en más de nueve países.

29 www.lasalud.mx
Por: Redacción
En entrevista con el Psic. Ezequiel Martínez, Psicología Hematológica de la FHRM

Bayer presenta nuevo medicamento contra la hemofilia

Hematología.mx.- En entrevista exclusiva con el Dr. Abenamar Méndez Picazo, hematólogo y gerente médico para el área de Hemofilia en Bayer de México, en el marco del Congreso Mundial de Hemofilia 2022, nos comenta sobre los planes a futuro en el desarrollo de nuevas tecnologías para mejorar la calidad

y expectativas de vida en personas que padecen hemofilia, explicando con ello el impacto benéfico del nuevo factor de Vida Media Prolongada (de Bayer) para tratar la hemofilia tipo A.

Sobre el WFH 2022 que se llevó a cabo de forma presencial en Montreal, Ca-

nadá, con su versión virtual del 8 al 11 de mayo, dando seguimiento al mes de abril, mes de la Hemofilia, nos habla Méndez Picazo: “Estas fechas sirven para hablar del origen de la conciencia y el conocimiento que se tiene de la enfermedad, que cada vez más se maneja de forma integral y multidisciplinaria porque

30 www.lasalud.mx

se requiere de un gran equipo para tratar este padecimiento. Celebrar esto a nivel mundial permite no perder de vista que la hemofilia existe y que es la más común de las enfermedades raras. Además, es importante hacer conciencia en los trabajadores de la salud para que puedan atender de forma adecuada a las personas con hemofilia”.

El Dr. Abenamar Méndez Picazo es médico cirujano graduado por la Universidad Autónoma de Tlaxcala, con especialización en Hematología por la Universidad Nacional Autónoma de México (UNAM) y residencia en el Centro Médico Nacional (CMN) Siglo XXI del Instituto Mexicano del Seguro Social, para después realizar su alta especialidad en Trasplante de Células Hematopoyéticas en el Hospital ABC, I. A. P. de México.

Como miembro del equipo de Bayer de México, compartió que la innovación de la firma basada en la PEGilación impacta en la calidad de vida de los pacientes al no tener limitaciones a largo plazo.

“Las nuevas moléculas tienen muchas nuevas virtudes, la más importante es poder espaciar los regímenes de profilaxis cada cinco o siete días. Si el paciente no es candidato a ello, porque su actividad física así lo requiere, tiene mayores porcentajes de actividad del factor a lo largo de la semana, independientemente del régimen de infusión en el que se encuentre”, agregó.

Cabe señalar que, con esta nueva oferta en el mercado, de las casi 6,000 personas con hemofilia registradas en el país, aproximadamente 1,800 podrían ser beneficiadas, pues padecen hemofilia A grave. La hemofilia es una enfermedad genética que tiene una incidencia de un caso por cada 10 mil nacimientos de varones y es considerada una enfermedad rara por su baja frecuencia.

Los dos tipos principales de hemofilia son A (deficiencia de factor VIII) y B (deficiencia de factor IX). En la primera el factor VIII (8) de coagulación está ausente o en concentración baja, cerca de 8 de cada 10 personas que sufren hemofilia padecen el tipo A. En la hemofilia B, el factor IX (9) de coagulación está ausente o en concentración baja. A las mujeres se les considera portadoras -por la baja incidencia en síntomas- y los hombres son quienes presentan los síntomas caracterizados en principio por hemorragias espontáneas.

En la actualidad y con las terapias disponibles en el país, el doctor afirmó: “Un paciente que tiene un tratamiento profiláctico con tres infusiones por semana, acumula en promedio un total de 216 infusiones intravenosas por año En cambio, el hablar

de dos infusiones por semana, que es algo que pocas terapias lograban en tercera generación o vida media estándar, implica 52 inyecciones menos al año es decir 120 infusiones totales.

Ahora, con el nuevo factor VIII recombinante de Vida Media Prolongada de Bayer, que ofrece a sus pacientes la posibilidad de infusión en régimen de profilaxis de una vez por semana (cada 7 días), o cada 5 días, de acuerdo al perfil del paciente, se requerirán solo 52 infusiones por año. Visto así, implica una gran disminución en la carga que exige el tratamiento de esta enfermedad”.

En ese sentido, el Dr. Abenamar Méndez refirió: “Hay nuevos factores VIII de Vida Media Prolongada disponibles en el país, como damoctocog alfa pegol” El cual, hoy en día, sólo está disponible para el sector privado, aunque se espera que pronto la cobertura abarque a las instituciones públicas.

Sobre el acceso a la terapia, el especialista detalló que “hay una trilogía muy importante: el médico tiene que conocer la molécula que está utilizando en las personas con hemofilia; el paciente tiene que explicar sus necesidades de acuerdo al estilo de vida, edad y ocupación; y ambos conocer la molécula que se va a utilizar para encontrar la mejor opción”.

El Dr. Abenamar Méndez Picazo, finalizó: “Más allá de espaciar las infusiones, en Bayer, la meta de la investigación clínica está enfocada en la cura de la hemofilia. El objetivo máximo es la Terapia Génica basada en vectores que, como su nombre lo indica, por medio de un transportador, introduce la información al organismo de la persona que padece la enfermedad para producir la proteína de coagulación deficiente, ya sea factor VIII o factor IX”.

Mientras se sigue buscando una cura para la hemofilia, los avances tecnológicos para los tratamientos tienen el objetivo de disminuir las dosis de infusiones anuales, mejorar la calidad de vida y permitir un estilo de vida activo para las personas con hemofilia. A esto agregó: “Sin dar falsas expectativas, hay que recordar que la terapia génica se encuentra en investigación aún, por ahora, con el factor VIII de Vida Media Prolongada y su posibilidad de lograr espaciar las infusiones en profilaxis -hasta una vez por semana-, se logra un impacto benéfico no conocido hasta ahora en el manejo de las personas con Hemofilia A”.

“Recomiendo siempre primero acudir con un profesional de la hemofilia para poder conocer sobre la enfermedad y sobre el tratamiento adecuado para cada paciente”, puntualizó el especialista.

31 www.lasalud.mx

Alegría y patriotismo con causa en la Casa de la Hemofilia

Por: Redacción

LaSalud.mx.- Con motivo de la celebración de las fiestas patrias que conmemoran el aniversario de la Independencia de México, la Federación de Hemofilia de la República Mexicana (FHRM) llevó a cabo una tardeada kermés.

La reunión convocó a pacientes, familiares, especialistas y aliados de la federación en un ambiente de camadería. Además, se ofrecieron los tradicionales antojitos mexicanos como tostadas, tacos de guisado, aguas de sabor y postres para todos los asistentes.

Durante el evento también se realizaron diversas actividades como rifas, juegos y una interesante plática titulada

“Trastornos Hemorrágicos en Mujeres de la voz” del Dr. Abenamar Méndez Picazo

El Dr. Méndez dio a conocer un tema que ha cobrado especial relevancia en los últimos años pues antes se creía que sólo los hombres podían padecerlos. El trastorno hemorrágico en las mujeres más común es la Enfermedad de von Willebrand (EVW), darlo a conocer es esencial para que el diagnóstico sea cada vez más preciso en las pacientes.

Con la tardeada kermés, la FHRM ofreció un espacio para que la comunidad de la federación pudiera celebrar las fiestas patrias en compañía de sus seres queridos y amigos.

32 www.lasalud.mx
33 www.lasalud.mx

La FHRM celebró el Día Mundial de la Hemofilia 2022 con una exposición de arte

Por: Redacción

LaSalud.mx.- Con el objetivo de aumentar el nivel de conciencia sobre la hemofilia y recordar la importancia de otras coagulopatías bajo el lema “Acceso para todos: Asociación. Política. Progreso. Involucrar al gobierno, integrando los trastornos hemorrágicos hereditarios en la política nacional”, la Federación de Hemofilia de la República Mexicana (FHRM) llevó a cabo diversas actividades en la Ciudad de México en el Día Mundial de la Hemofilia, conmemorado el 17 de abril

La hemofilia es una enfermedad considerada como rara debido a su baja prevalencia. Se considera una condición genética y hereditaria que predispone a sangrados por deficiencia en un factor de la coagulación.

Entre las actividades de la FHRM, destacó la galería de arte abierta llamada “Ipátiev”, destinada a la comunidad de pacientes con hemofilia y otras coagulopatías. De acuerdo con los organizadores, se creó un espacio para la reflexión de la información, permitiendo al habitador aislarse sensorialmente del contexto inmediato en un acto de intimidad para evocar las emociones, sensibilidad, difusión, conciencia y empatía respecto al padecimiento de la hemofilia y otras coagulopatías.

También se llevó a cabo un taller de infusión pensado para que los profesionales y otros pacientes con experiencia compartieran la manera adecuada de administrar el tratamiento a niños y adolescentes por primer vez.

34 www.lasalud.mx
35 www.lasalud.mx

Icónicos monumentos y sitios emblemáticos se iluminaron de rojo en apoyo a los pacientes con Hemofilia

LaSalud.mx.- En apoyo a los pacientes con hemofilia y como medida para visibilizar la enfermedad, distintas sedes emblemáticas como el Ángel de la Independencia, Monumento a la Revolución, Monumento a Cuauhtémoc, Fuente de la Diana Cazadora, la Glorieta de la Palma, Fuente de Petróleos, se iluminaron con un llamativo tono rojo.

En esta iniciativa también participaron los edificios de gobierno ubicados en el Centro Histórico de la Ciudad de México: el Gran Hotel de la Ciudad de México, Edificio de Joyeros, Asamblea Legislativa y Senado de la República, así como el Zócalo.

Cabe mencionar que este proyecto llamado Light It Up Red también se lleva a cabo en distintas partes del mundo como Argentina, Australia, Canadá, Estados Unidos, India, Inglaterra, Panamá, España y Taiwán.

36 www.lasalud.mx

FHRM, 31 años de labor continua en beneficio de los pacientes: Cesar Garrido

En entrevista con Cesar Garrido, presidente de la Federación Mundial de Hemofilia (WHF)

Por: Redacción

LaSalud.mx.- Cesar Garrido fue electo presidente, por un periodo de cuatro años, de la Federación Mundial de Hemofilia (FMH), durante la Reunión Anual de Asamblea General 2020 realizada el 16 de octubre. Con motivo del 31° aniversario de la Federación de Hemofilia de la República Mexica (FHRM), envió un mensaje de reconocimiento a la Federación, tiempo en el que ha realizado una exitosa labor.

Mencionó que tuvo la oportunidad de trabajar con los seis presidentes de esta distinguida organización; en algunos casos de manera más compenetrada por la exigencia de su trabajo, pero pudo ver cómo fueron creciendo y eso es algo ejemplar.

“En la actualidad, en mi rol de Presidente de la WHF, es motivo de orgullo que una de nuestras 147 organizaciones nacionales

esté arribando a su 31° aniversario. Es decir, 31 años de labor continua en beneficio de los pacientes. Les tengo mucho cariño y los tengo siempre presentes. Sé que les queda mucho por recorrer, pero los creo capaces de lograr los objetivos que se estén planteando. Yo aprendí en México mucho más de lo que pensé; como ese poder de convocatoria y de tener presente a todo el país, no solo una ciudad o una localidad. Un país enorme, con muchos habitantes y una importante extensión”, opinó Garrido.

Para finalizar, recordando que los retos venideros son importantes pero que la FHMR cuenta con todos los medios necesarios para afrontarlos, mandó una felicitación: “¡Feliz Cumpleaños! Y que vengan muchos más éxitos”.

37 www.lasalud.mx

Desde hace 3 décadas, la FHRM trabaja y lucha

en beneficio de las personas que padecen Hemofilia: Dra. Adolfina Berges García

En entrevista con la Dra. Adolfina Berges García, en el marco del 31° Aniversario de la Federación de Hemofilia de la República Mexicana (FHRM)

Por: Redacción

LaSalud.mx.- La Dra. Adolfina Berges García es Hematóloga Pediatra y Asesora Médica de la Federación de Hemofilia de la República Mexicana A.C. (FHRM) Sin lugar a dudas, es una de la especialistas más respetadas en el mundo de las coagulopatías. En entrevista exclusiva con LaSalud.mx; en una amplia y evocativa charla, (que se extendería a dos enlaces de teleconferencia) la experta recapituló la importancia del organismo y su evolución a través de estos 31 años.

La Dra. Berges (como suelen llamarla sus cercanos) nos comentó de inicio: “La FHRM es una organización civil sin fines de lucro que sigue trabajando desde hace 31 años incansablemente y donde los médicos ofrecemos nuestro mejor esfuerzo de forma voluntaria. Es una organización que está muy bien fundamentada y que tiene un gran apoyo de la Federación Mundial de Hemofilia (FMH), además, tiene el respaldo de las personas con hemofilia, que están agru-

padas en provincias y que son las encargadas de mantener a la Federación”.

Aclaró que se trata de un trabajo continuo y no solo de unos años o de una mesa directiva en particular, lo importante es que se ha mantenido con el esfuerzo de todos y ha seguido creciendo.

Siempre respetuosa de las formas y directa, señaló: “La fundadora de todo esto fue la señora María Luisa Bastard de Abreu,

38 www.lasalud.mx

ella fue el ejemplo a seguir de lo que se debía de hacer en esta agrupación de pacientes, fue una mujer que luchó y trabajó, con un temperamento firme, la encargada de buscar y adquirir lo que hoy se conoce como la Casa de la Hemofilia (ubicada al Sur de la Ciudad de México)”.

Continuó: “La señora Abreu es una luchadora que sigue trabajando. Ella se retiró de la Ciudad de México y de la FHRM, y ahora continua trabajando en Tabasco a favor de los pacientes, donde hizo una organización para dar tratamiento, hacer cursos y brindar rehabilitación; ha hecho algo similar a lo que existe en países como Argentina, Estados Unidos de América y en Europa: una institución independiente para tratar y diagnosticar trastornos de la coagulación. Ella sigue haciendo cursos anuales con profesores extranjeros, sigue al pie del cañón y siempre se lo he reconocido; hasta donde yo sé ella fue la primera que luchó para que esto se llevara a cabo”.

Un poco de historia de la FHRM y sus presidentes

Después de la presidencia de la Señora María Luisa Bastard de Abreu, la sucedió la Señora Martha Monteros Rincón

La Dra. Berges, reconoció que la Federación ha crecido mucho en los últimos 20 años. Ha dado un salto desde que apoyó a México para que el tratamiento de la hemofilia fuera de primera línea y se dejaran de usar plasma y críos; y dar inicio al tratamiento oportuno con concentrados de factores de la coagulación A la par de brindar cursos para médicos laboratoristas, químicos y pacientes

Agregó: “Quien era presidenta en ese entonces era Martha Monteros, quien fue también una férrea luchadora a favor de los pacientes con hemofilia. Ella trabajó (...) en beneficio de los pacientes y del personal de salud. A través de ella se apoyó a los médicos especialistas

en Hematología, pero, también a ortopedistas y personal de Rehabilitación para que fueran al extranjero a obtener un formación en sus áreas”.

Apuntó que a Martha Monteros seguiría Carlos Gaytán (…) quien trabajó para dedicar tiempo completo a la organización. La Dra. Berges fue enfática al señalar: “No es un trabajo fácil pues no tienen un salario. Más tarde llegó, Miguel Izquierdo Zarco (…) quien estuvo un corto periodo ya que se fue a trabajar a la Federación Mundial de Hemofilia (FMH). Posteriormente siguió Alfonso Quintero (…), quien no permaneció mucho tiempo porque tuvo que renunciar por motivos familiares, pero siguió la línea de trabajo para fortalecer los Congresos de Hemofilia para médicos, pacientes y todo el personal de salud”, después y hasta la fecha, hoy está Minerva Cruz (…) que sigue trabajando y luchando. Cada uno de ellos ha tratado de continuar en el mismo canal de apoyo a los pacientes, para que no reciban tratamientos de baja calidad, sino el mejor y más aceptado por los organismos internacionales, que se apliquen las guías de operación y se difundan los trabajos de investigación; todos los presidentes de la FHRM han puesto, no solo un granito de arena, sino una roca para que esto se mantenga y sostenga; de no haber sido así, probablemente la FHRP no estaría de pie, como desgraciadamente muchas otras organizaciones”.

La Federación y algunos de sus grandes logros

La Dra. Berges García aclaró que son muchos e incontables los logros de la Federación durante estas 3 décadas. Así como sus artífices que han hecho posible esto, al igual que todos aquellos profesionales de la salud, médicos especialistas, hematólogos, reumatólogos, ortopedistas, laboratorista, odontólogos, químicos, psicólogos, generosos proveedores, funcionarios, los mismos pacientes y sus familiares, y un largo etcétera, quienes han luchado durante todos estos

años a favor de los pacientes con hemofilia y quienes han mostrado su carácter generoso y abierto con la FHRM.

Renuente a mencionar a solo algunos de estos grandes personajes en la lucha contra la hemofilia en nuestro país y que tanto han ofrecido al diagnóstico, prevención, tratamiento y recuperación, de esta enfermedad, por temor a omitir involuntariamente a alguno de ellos, ante nuestra insistencia, a bote pronto recuerdó a algunos de estos pasajes y sus protagonistas, con la salvedad, siempre presente de la omisión.

A esto mencionó: “Desde que llegue a México he estado trabajando con los pacientes con hemofilia en la FHRM En años anteriores, quizá no era la misma Federación de Hemofilia que es hoy en día, -hasta ha cambiado de nombre-, pero siempre han sido los pacientes los que mantienen el organismo para que siga trabajando y luchando en beneficio de las personas que padecen hemofilia”.

“Gracias a la Federación se consiguieron los concentrados de factores de coagulación que -por primera vez- se utilizaron en el Banco de Sangre que entonces era el Centro Médico Nacional (CMN) Siglo XXI con el Dr. Héctor Rodríguez Moyado, quien fue el fundador de las Clínicas de Hemofilia en la República Mexicana”, agregó.

La Dra. dijo que en esta labor continuaron otros grandes maestros, como el Dr. Samuel Dorantes Mesa (QEPD), el Dr. Abel Bello González y la Dra. Herminia Benítez Aranda, quien inició la Clínica de Hemofilia en Pediatría del CMN SXXI con el Dr. Farfán. (...) Más tarde iniciaron la Clínica de Hemofilia en el Hospital La Raza.

Recordó: “La Dra. Benítez ya está jubilada, pero aún le preocupa y sigue trabajando con la FHRM, siempre dispuesta a apoyar. Fue una pionera del avance de modernización y luchó mucho por el

39 www.lasalud.mx

respeto de los pacientes, para que se les diera un trato adecuado a los niños con hemofilia”.

Por otro lado mencionó: “El Dr. Efraín Zurita trabajó mucho al lado de la señora Bastard de Abreu, él es hematólogo egresado del Hospital Infantil de México. Casi todos los que nos dedicamos a la hemofilia somos pediatras egresados de este hospital, quizá porque el Dr. Samuel Dorantes Mesa siempre nos sembró el entusiasmo por el padecimiento. Fue el semillero para que creciera la importancia que se le ha dado y sigue dando a la hemofilia”.

“Los Médicos especializados en hemofilia infantil del INP eran egresados del Hospital Infantil de México, alumnos del Dr. Samuel Dorantes. Mientras que los especializados en hemofilia de adultos, fueron alumnos del Dr. Rodríguez Moyado, como es el caso de los doctores Carlos Martínez Murillo y Sandra Quintana González, ellos continuaron su legado; lucharon mucho por hemofilia en adultos y le dieron mucho énfasis a los cursos y adiestramientos para trabajar con médicos a favor de la enfermedad. La Dra. Catalina Taboada hoy jubilada del Instituto Nacional de Pediatría (INP) fue junto con el Dr. Rogelio Paredes de las fundadoras

de la Clínica de Hemofilia de Pediatría del INP”, recordó.

Asimismo, apuntó: “El Dr. José Luis Márquez Vázquez del Hospital Infantil, era el encargado del banco de sangre y trabajo con el Dr. Samuel Dorantes para atender a los pacientes con hemofilia en ese hospital. La Dra. Amalia Bravo es directora del Instituto Nacional de Pediatría y ha trabajado con el Dr. Rogelio Paredes, y ha sido una de las personas clave para que en esa institución se compraran los concentrados de factores de coagulación y no se usara plasma ni críos. En tanto el Dr. Jorge Trejo es adscrito al Centro Nacional de la Transfusión Sanguínea y es encargado por este gobierno del Programa de Hemofilia que va a implementar en todos los Centros de Salud y está trabajando con la Dra. Adriana Abigail Valenzuela para que esté incluido en el Instituto Mexicano del Seguro Social (IMSS)”.

“Ellos trabajaron por convicción propia, no necesariamente como una indicación de salubridad, sino que ellos lo consideraron necesario y buscaron la manera de comprar esos concentrados de factores de la coagulación y que así no se les diera más plasma ni críos a los niños del INP”.

“El Dr. Francisco González Martínez fue el primero de Medicina Física y Rehabilitación, trabajó mucho con pacientes con hemofilia y el Dr. Roberto Bernal, Ortopedista, ambos del Imss.” En ese sentido, “la Federación siempre ha trabajado mucho con los doctores del Imss porque son los que están más disponibles, por decirlo de alguna manera”. “Del Instituto de Seguridad y Servicios Sociales para los Trabajadores del Estado (ISSSTE) se recuerda con mucho cariño al Dr. Miguel Argáez (QEPD)”.

En su experiencia particular, la Dra. Berges García expresó que ha aprendido mucho de los niños con hemofilia; todas las recomendaciones que les daban los odontólogos las apliqué en sus hijos

“Siempre he dicho que yo tengo más que agradecerles a las personas con hemofilia que lo que me tienen que agradecer ellos a mí, porque yo aprendí mucho y crecí mucho, ha sido una gran enseñanza para toda la vida”.

Para finalizar, la Dra. Berges agradeció el apoyo para la FRMH, para los pacientes y familiares con hemofilia y otros trastornos de la coagulación. “Tengo la obligación de apoyar y trabajar en todo aquello que sea en favor de la hemofilia sin fines de lucro pues la difusión es la base para que un padecimiento se conozca y si la población sabe que es la hemofilia, se podrán diagnosticar más casos y brindar mejor tratamiento para prevenir los daños que genera”.

“Hoy en día, una persona con hemofilia tiene el derecho de tener una vida similar a las personas que no la tienen, y nosotros buscamos que no sean una carga ni para la familia ni para la sociedad, sino que sean individuos capaces de trabajar y ganar su dinero y hacer su vida como les plazca. La educación es la base para que las cosas cambien y lo hagan para bien, sino hay educación de fondo no vamos a conseguir nunca nada”, concluyó.

40 www.lasalud.mx
“Siempre he dicho que yo tengo más que agradecerles a las personas con hemofilia que lo que me tienen que agradecer ellas a mí, porque yo aprendí mucho y crecí mucho, ha sido una gran enseñanza para toda la vida”.
- Dra. Adolfina Berges

Felicita a la Federación de Hemofilia de la República Mexicana (FHRM) por cumplir 31 años de historia al cuidado de los pacientes con coagulopatías.

En Octapharma, nos esforzamos todos los días por ayudar a miles de pacientes de todas las edades.

41 www.lasalud.mx
®

Coagulopatías en niños, FHRM y las primeras Clínicas de Hemofilia en el IMSS

“Para mí siempre fue una gran satisfacción sacar a un niño de su silla de ruedas para que pudiera caminar”: Dra. Herminia Benítez Aranda

Por: Redacción

LaSalud.mx.- En entrevista exclusiva con la Dra. Herminia Benítez Aranda, destacada Hematóloga Pediatra, nos detalló su experiencia en las Clínicas de Hemofilia en el Instituto Mexicano del Seguro Social (IMSS), así como su trayectoria como especialista.

Sobre sus inicios en el tema de la hemofilia, nos comenta la Dra. Herminia Benítez que para 1969 –cuando era estudiante del último año de la carrera de medicina- realizó un intercambio de estudiantes en el Children’s Hospital de Buffalo, donde tuvo el primer contacto con una Clínica de

hemofilia y el tratamiento de los niños con crioprecipitados

“Empecé la residencia en Pediatría en 1971 en el Hospital Infantil de México Federico Gómez -porque primero terminé la carrera, luego hice mi internado y el servicio social-. Luego realicé mi especialidad de hematóloga pediatra en la misma sede con el Dr. Samuel Dorantes Mesa Allí trabajé de manera activa en la clínica de hemofilia del hospital”, comentó.

En ese momento se trataba a los niños en la Clínica de Hemofilia del Hospital

Infantil de México (primera en su rubro). El equipo médico estaba conformado por el jefe del Departamento de Hematología, el Dr. Samuel Dorantes Mesa, el Coordinador de la Clínica, el Dr. Abel Bello González, así como el residente en Hematología, con la asistencia del jefe del Banco de Sangre de dicho Hospital, el Dr. José Luis Márquez, quien preparaba los crioprecipitados -cada semana se presentaban los casos-. Aunado a ello, se llevaban a cabo las reuniones con la Asociación de Hemofilia, como se llamaba en ese entonces a la actual Federación de Hemofilia de la Repúbli-

42 www.lasalud.mx

ca Mexicana (FHRM), donde asistían los padres de familia de los niños y algunos adultos con hemofilia.

Como se mencionó con anterioridad, la primera clínica de hemofilia de la República Mexicana fue la del Hospital Infantil de México. El jefe fundador fue el Dr. Samuel Dorantes Mesa. La primera Clínica de Hemofilia del Imss, fue la del Hospital de Pediatría del Centro Médico Nacional Siglo XXI. La clínica estaba integrada por el jefe del Servicio de Hematología, el Dr. José Farfán Canto; la coordinadora, la Dra. Herminia Benítez Aranda, médica hematóloga pediatra; la Dra. Amparo Esparza Flores, el Dr. Carlos Álvarez Amaya, el Dr. Roberto Bernáldez Ríos; así como el médico ortopedista Dr. Roberto Bernal; la genetista, Dra. Lourdes Valdés; el médico de rehabilitación, Dr. Martínez y la trabajadora social Esther

“En 1982, ya como médica hematóloga de base, trabajé en el Hospital de Pediatría del Centro Médico Nacional (CMN) Siglo XXI y fui la coordinadora de la Clínica de Hemofilia durante 24 años (hasta su jubilación) junto al Dr. José Farfán Canto, jefe del Servicio de Hematología del HPCMN SXXI. La clínica estaba reconocida en la Federación Mundial de Hemofilia (WHF) y éramos un referente para tratar a los niños con hemofilia”, comentó.

Parte de las ocupaciones de la Dra. Herminia Benítez Aranda como Coordinadora de la Clínica, consistía en preparar los casos y presentarlos. Después, cuando vino el terremoto en 1985 dijo que los ayudó y se unió a la Clínica el Dr. Héctor Rodríguez Moyado, la Dra. María Cristina Vázquez y la Dra. Isabel Hernández Ellos trabajaban en el banco de sangre y eran los encargados de preparar los crioprecipitados y, después, para algunos casos ya contaban con algunos liofilizados de factor VIII y de factor IX para esos tratamientos.

Coincide con el cambio de sede al Centro Médico Nacional (CMN) La Raza

del IMSS, para continuar los tratamientos -debido a que el CMN SXXI se derrumbó con el terremoto-. “Allí, los niños estaban a cargo de la Dra. Teresa Marín Palomares y la Trabajadora Social Julieta Juárez Sierra. Se discutían los casos en la Clínica de Hemofilia de Adultos del Dr. José González Llaven, la que estaba encargada de esa clínica era la Dra. Ninfa Romero”, recordó.

Cabe señalar que la Dra. Teresa Marín Palomares y la trabajadora social Julieta Juárez fundaron el Primer Campamento Educativo y Recreativo para niños con hemofilia, el primero en la República Mexicana para este padecimiento.

La Dra. comentó: “Cuando llegamos nosotros al Servicio de Hematología del CMN La Raza, formamos la Clínica de Hemofilia de Niños otra vez, porque con el terremoto tuvimos una consulta de casi 300 niños con hemofilia. Participaron el Dr. Farfán, la Genetista Lourdes Valdez, en Rehabilitación estaba el Dr. Francisco González, yo era la encargada y la Trabajadora Social era Julieta Juárez.”

Tras el terremoto, el CMN SXXI se reconstruyó y los especialistas regresaron. “En 1989, se volvió a integrar la Clínica de Hemofilia en el CMN con el Dr. Farfán, yo como coordinadora, e integrándose el Dr. Rodríguez Moyado, sin embargo, se dejó en funcionamiento la Clínica de Hemofilia de Niños que habían montado en el Hospital de la Raza. En ese mismo tiempo, regresó de su adiestramiento la Dra. Teresa Marín quien junto a la trabajadora social Julieta Juárez se encargó de esa Clínica”, agregó.

Cuando la Dra. Teresa Marín se jubiló, se quedó a cargo la Dra. Adolfina Berges hasta su jubilación.

Tras esa reestructura la doctora apuntó: “El Dr. Raúl Ambriz, hematólogo de adultos, se encargaba de los pacientes con hemofilia y los trataba en el Banco de Sangre con el Dr. Rodríguez Moyado;

ya nosotros nos encargábamos exclusivamente de los niños y contamos con un nuevo ortopedista, el Dr. Daniel Herrera Sánchez, después el Dr. Mario Edgar Tena Sanabria, la Dra. Rosalba Mosco era la especialista en Rehabilitación y la trabajadora social María de Lourdes Vargas (Lulú), quien se quedó trabajando con los niños. También, tuvimos a la Dra. María del Carmen Rodríguez y al Dr. Roberto Bernaldez que llevaban a los niños a un tipo de campamento educativo y recreativo, donde se iban los niños con los padres, además la psicóloga María del Pilar Ponce Gutiérrez (Pilar) y el Dr. Sergio Gadea Gómez de Medicina del Deporte, se encargaban de darles rehabilitación a los niños”.

Fueron 15 campamentos coordinados por la Dra. María del Carmen Rodríguez (coordinadora de la Clínica de Hemofilia 20062016). Dichos campamentos se realizaban en los Centros Recreativos del IMSS (Metepec, Puebla y Oaxtepec Morelos). Como integrante de la Clínica de Hemofilia del HP CMN S XXI, también estaba el especialista en Psiquiatría Pediátrica, Dr. Juan Manuel Sauceda, y su grupo, quien fue de gran ayuda para los niños y familiares durante la pandemia del VIH.

“Como yo fui la coordinadora de la Clínica de Hemofilia por más de 20 años (19822006), nuestra clínica se fue perfeccionando. [...] Preparábamos las reuniones en la clínica, la valoración completa del niño y las entrevistas con los padres. El médico encargado de presentar al paciente en el Clínica de Hemofilia era el residente de Hematología Pediátrica, las historias clínicas se entregaban a todos los integrantes [...], el día anterior a la reunión que se realizaba cada 15 días. Esto era derivado de tener la residencia en Hematología”, narró.

La doctora Herminia Benítez mencionó que los pacientes primero tuvieron una cartilla donde estaban todos los datos como: tipo de hemofilia, el grupo sanguíneo y la gravedad del padecimiento,

43 www.lasalud.mx

si tenían o no inhibidor. Después, con la ayuda del Dr. Ambriz y el Dr. Rodríguez Moyado, hiciero un expediente más completo. Este se mejoró y se tuvo un registro radiográfico de los niños.Así lo dejó cuando su coordinación terminó en el 2006 y se jubiló en el 2009.

Sobre el registro, dijo: “Tratábamos de estar seguros de que cada médico hematólogo en nuestro hospital llenara de forma completa esa cartilla. Para que cuando el niño llegara al servicio de urgencias, el médico pediatra pudiera conocer el tipo y gravedad de la hemofilia. Sobre todo, se buscaba mucho si era hepatitis B negativo o positivo, VIH positivo o negativo, y si tenían o no inhibidor”.

Tras dejar la coordinación de la clínica, fue sucedida por la Dra. María del Carmen Rodríguez. Al respecto mecionó: “En esa época, el Dr. Farfán tampoco era el jefe, sino el Dr. Roberto Bernaldez -quien también ya falleció hace varios años-.” Por su parte, la Dra. María Cristina Vázquez y la Dra. Isabel Hernández se fueron. La Dra. Amparo Esparza se quedó en Guadalajara y formó la Clínica de Hemofilia de Niños en Guadalajara.

Tratamiento

Al preguntarle sobre su perspectiva en el avance de los tratamientos de la hemofilia, la Dra. Herminia Benítez nos comentó nuevamente que para 1965 ya se había iniciado el tratamiento con crioprecipitados por la Dra. Judith Graham Pool. “Yo tuve el contacto con este procedimiento en 1969 en el Children’s Hospital de

Buffalo, donde realicé un intercambio de estudiantes en 1969”, relató.

Ya para 1989, la especialista refierió: “El tratamiento era con liofilizados de factor VIII y factor IX. Un poco antes de que se

que tiene un gran Centro de Enseñanza de Hemofilia y otras coagulopatías hereditarias, el mejor en Latinoamérica. En esa época, eso era un cuarto donde estaba la Sra. María Luisa Bastar, el hematólogo Dr. Efraín Zurita, el ortopedista Dr. Guillermo Capetillo, el médico de rehabilitación Dr. Ramón y la trabajadora social Araceli”.

La especialista recuerda que María Luisa Bastar de Abreu le hacía la invitación y me pagaba el vuelo para estar un fin de semana en la tarde en un hotel. Le presentaban el expediente de un paciente, entonces opinaban y trataban a los niños.

formara la FHRM realizamos el primer Congreso Latinoamericano de Hemofilia en México y vinieron hematólogos de Argentina, Puerto Rico y Brasil; con ese evento inauguramos el auditorio del Hospital de Pediatría del CMN SXXI. Ahí conocí a la Arq. Martha Montero. Después tuve una relación muy estrecha con Tabasqueña de Hemofilia y con la Sra. María Luisa Bastar de Abreu. Sede

En el Hospital de Pediatría del CMN SXXI, en 1993, dijo que ya tenían tratamiento con liofilizados de factores VIII y IX, en esa época había 134 niños con hemofilia. Publicaron la diferencia en la Revista de Hemofilia, la cual fue conjunta con varios hematólogos. El CMN La Raza y su hospital eran los únicos que utilizaban este tratamiento; y no los crioprecipitados, los cuales se seguían utilizando en el Hospital General de México y el Instituto Nacional de Pediatría. Después, empezaron un programa de tratamiento oportuno que se realizaba en casa: los padres administraban el liofilizado de factor VIII. Tenían un programa de autoinfusión y de enseñanza de infusión de liofilizado, que por lo general eran los padres o hermanos mayores los que aprendían a aplicar estos productos.

“Teníamos una sala donde las enfermeras podían enseñarles a administrar la venopunción y en cada Asamblea de Hemofilia se tenía la enseñanza de la in-

44 www.lasalud.mx

fusión y de la autoinfusión. Llegamos a tener niños de 10 años que se infundían sus productos, esto fue un gran logro”, narró. El programa de Infusión venosa del liofilizado de factor VIII o IX, estaba a cargo de la enfermera Lilia Espinobarros.

Para ese momento recordó: “La empresa farmacéutica hacía la entrega, nosotros el cálculo del producto -cuántos frascos de liofilizado debían ser entregados- y la trabajadora social tenía que ver la refrigeración -no congelación-. Debíamos de conocer si el padre o la madre eran responsables de aplicar el producto, para que de la manera más temprana se administrara si el niño tenía un problema. Se llamaba tratamiento oportuno cuando se administraba el liofilizado en las primeras cuatro horas. Yo llevaba una libreta con el registro de cada niño y era la encargada de entregar la receta para que la farmacia le entregara el producto y lo utilizaran. Esto mejoró, porque ya era la empresa la que entregaba a cada niño su medicamento en su domicilio. El Imss fue el primero que lo hizo También, me encargué de asistir y enseñar a los médicos hematólogos jóvenes, así como ayudar a formar otras clínicas de hemofilia como la del Estado de México, Puebla y Morelos”.

Además, mencionó: “Se formaron varias clínicas de hemofilia, entre ellas, la Clínica 25 de Monterrey con la Dra. Teresa Pompa -ella también se formó como hematóloga pediatra en el Hospital Infantil-, la Clínica de Hemofilia de Guadalajara con la Dra. Amparo Esparza en el Hospital de Pediatría del Centro Médico Nacional de Occidente en Guadalajara Tuvimos una Clínica de Hemofilia en el Hospital Gabriel Mancera con la Dra. María Antonieta Vélez Ruelas -quién falleció hace dos años-. Formamos a varios médicos que se encargaron de integrar una clínica de hemofilia para el tratamiento multidisciplinario del niño con hemofilia”.

“Cuando yo dejé de ejercer, hace 12 años, había clínicas de hemofilia casi en los

32 estados; porque también se constituyó la clínica de hemofilia en Mérida y Campeche. Teníamos hematólogos que se encargaban del tratamiento de los niños en Chiapas y casi en todos los estados. Como en Durango con el Dr. Ulises Reyes Lugo y su hijo el Dr. Aarón Reyes, que se formó con nosotros como hematólogo pediatra como residente, entre otros”.

Su historia en la FHRM

La Dra. Herminia Benítez nos comentó que tuvo relación con la Federación de Hemofilia de la República Mexicana (FHRM) desde que se fundó en 1993, gracias al Congreso Mundial de Hemofilia

La Sra. María Luisa Bastar De Abreu fungió como presidenta. Después, la presidió Martha Montero, que trabajó mucho junto con su esposo. Posterior a eso fue electo presidente una persona brillante con hemofilia que conoció desde joven: Carlos Gaitán Fitch Le siguió el Sr. Octavio

Cuando formaba parte de la federación, recordó: “Me presentaban los casos por internet, opinaba y participaba en las charlas [...] de la Casa de la Hemofilia, con el Sr. José Luis Fuentes (magnífica persona y de gran ayuda para todas las personas con hemofilia), el Dr. Francisco González y la Dra. Ana Rebeca Jaloma, genetista de la Unidad de Investigación del CMN Occidente del IMSS. Hubo un joven de Michoacán, Miguel Izquierdo Zarco, que llegó a ser presidente de esta, pero que después renunció para irse a trabajar en la Federación Mundial de Hemofilia (FMH). Con él dábamos charlas por radio para difundir el tema en los últimos años”.

Al jubilarse, comentó: “Seguía asistiendo a los congresos y apoyando a las nuevas clínicas de hemofilia. Me invitaban para presentar y hablar, en especial, del tratamiento multidisciplinario. Viajábamos mucho con el Dr. José González; a mí y a él nos invitaban bastante para dar pláticas. Yo hablaba exclusivamente de los niños con hemofilia y otras coagulopatías raras, hasta que asistí a la última asamblea de

hemofilia en Querétaro, cuando la presidenta era todavía la Arq. Martha Montero”.

Por razones de salud contó que se alejó por completo de todas esas actividades. Pero trabajó mucho en la caracterización de los niños con la enfermedad de Von Willebrand, labor que hicieron en el Departamento de Hematología de su hospital. Por dicho trabajo en la revista de investigación “Blood Cells, Molecules, and Diseases” (2007), le entregaron en el 2008 el “Premio Dr. Luis Sánchez Medal” a la Investigación Básica. Este lo otorga la Agrupación Mexicana para el Estudio de la Hematología (AMEHAC), de la cual es miembro.

Como anécdota personal, la Dra. Herminia Benítez nos comentó que antes del VIH, los viernes en la noche o en la tarde, todos sus niños adolescentes acudían al banco de sangre, donde la Dra. María Cristina Vázquez, el Dr. Rodríguez Moyado y la Dra. Isabel Hernández, les inyectaban los crioprecipitados para que pudieran salir a bailar esa noche, esa era una satisfacción infinita. Por el VIH muchos adolescentes y niños fallecieron. “Nosotros, con el Dr. Farfán, recorríamos los hospitales cuando sucedió ese desastre. Perdimos a más de 90 niños. Solo en nuestra comunidad de hemofilia conocíamos el problema. La mayoría de las personas y nuestras autoridades no estaban ni enterados del tema”, agregó.

Para finalizar la entrevista, la Dra. Herminia Benítez Aranda mandó un mensaje: “A todas las personas que padecen hemofilia, un abrazo cariñoso. Sé que el progreso ha sido bastante desde la utilización del plasma fresco congelado, crioprecipitados y hasta los liofilizados A mí me dio mucha satisfacción trabajar con todas las personas con hemofilia Incluso, hemos tenido que hablar en el Senado y en la Cámara de Diputados, para que las autoridades conocieran el problema y la discapacidad que genera esta enfermedad. En la presidencia del Lic. Felipe Calderón conseguimos que todos los niños

45 www.lasalud.mx

menores de 10 años ingresaran al seguro popular y tuvieran acceso gratuito a los liofilizados de factor VIII y factor IX, lo cual consideramos un gran logro, porque si un niño con hemofilia A o B con una deficiencia grave de estos factores no sangra en las articulaciones durante 10 años ya no va a tener la discapacidad que origina la hemartrosis especialmente en rodillas, tobillos y caderas”.

“Para mí siempre fue una gran satisfacción sacar a un niño de su silla de ruedas para que pudiera caminar. Cuando llegaban siempre les decía ‘yo te voy a sacar de esta silla de ruedas’. En ese aspecto la señora María Luisa Bastar, la arquitecta Martha Montero y después Carlos Gaitán, el Dr. Héctor Rodríguez Moyado, el Dr. Francisco González y todos los Médicos Hematólogos Pediatras estaban totalmente involucrados con el tratamiento oportuno; tuvimos un gran trabajo a lo mejor en este momento no menciono o no recuerdo a algunos médicos que trabajaron arduamente en la FHRM, para mí fue un gran honor trabajar con ellos”, concluyó

Dicho artículo se puede consultar haciendo clic en el siguiente vínculo; Melo-Nava BM, Benítez H, Palacios JJ, Nieva B, Arenas D, Jaloma-Cruz AR, et al. Molecular study of VWF gene from Mexican Mestizo patients with von Willebrand disease, and the finding of three new mutations. Blood Cells Mol Dis. 2007;39:361-5.

46 www.lasalud.mx
47 www.lasalud.mx 8 0 ww w.l a s a l u d m x ¡Estamos en las mejores manos y en tu pantalla! contacto@mundodehoy.com publicidad@mundodehoy com

Sergio Ojeda y su historia en la FHRM

LaSalud.mx.- En entrevista exclusiva con Sergio Oje, uno de los miembros de la Federación de Hemofilia de la República Mexicana (FHRM) y Secretario General en la organización del Congreso Mundial de la FHRM en 1994, comentó a detalle su participación dentro de la federación, su voluntariado y su amplia trayectoria.

Sergio Ojeda León es Cirujano Dentista egresado de la Universidad Nacional Autónoma de México (UNAM 1970-1974) y cuenta con una especialidad en Odontología Pediátrica. Fue residente en el Hospital del Niño IMAN (1974-1977), actualmente Instituto Nacional de Pediatría (INP), en donde también fue Médico Adscrito, Profesor y Coordinador de la Especialidad de Estomatología Pediátrica. En la misma sede, fue Jefe del Servicio de Estomatología durante 12 años. Asimismo, durante más de 20 años formó a muchas generaciones que se encuentran trabajando en el país atendiendo a los pacientes médicamente comprometidos.

Sobre sus primeros acercamientos con los pacientes con hemofilia y con la FHRM, Ojeda relató que “estuve muy cerca de los pacientes con hemofilia en México desde 1993 siendo uno de los miembros de la FHRM y participé como voluntario durante más de 20 años, atendiendo pacientes en el INP en el servicio de Estomatología”.

Además, “participé como secretario general en la organización del Congreso Mundial de la Federación que se realizó en la Ciudad de México, en la Unidad de Congresos del Centro Médico Nacional en 1994 cuando el presidente del congreso era el Dr. Raúl Ambriz, Hematólogo. El evento contó con la presencia de 54 países. Con los fondos recaudados decidimos, Ma. Luisa Bastar, Eugenio Abreu y yo, comprar la casa

de Municipio Libre #62 en la Colonia Portales, actualmente sede del centro para la atención de pacientes con hemofilia”.

Por otro lado, “durante 24 años apoyé y asesoré a los presidentes de la FHRM como Ma. Luisa Bastar de Abreu, Martha Monteros Rincón y Carlos Gaitán Fitch, llevando la logística, organización y realización de todos los congresos nacionales, representando, a su vez, al área dental en los congresos internacionales. Elaboré protocolos de atención, guías de tratamiento y prevención dental del paciente hemofílico, documentos que permanecen vigentes. Fui autor del capítulo de manejo dental en 2 libros de Hemofilia, invitado a participar por el Dr. Federico Fernández Palazzi, ícono de la hemofilia a nivel mundial”.

Sergio Ojeda, además, fue “Vicepresidente Médico de la FHRM, formando parte de los equipos profesionales que atendían a los pacientes. Conocí a colaboradores y médicos maravillosos. Por mencionar algunos: Adolfina Berges, Efraín Zurita, Ma. Antonieta Vélez, Ma. Amparo Esparza Flores, Ramón Román, José Luis Fuentes, Bárbara Novelo, Elena Benhumea, Ramiro Bonifaz, Francisco Xavier González Martínez, Lilia Espino Barros, Armando Hernández, Roberto Bernal, Ana Rebeca Jaloma y Dr. Rosales”.

Sus logros profesionales en el área de la salud

“Encontré que la mejor de manera de colaborar y apoyar era con la formación académica de dentistas en instituciones públicas y privadas durante más de 20 años”, comentó Ojeda.

Uno de los logros más importantes de Ojeda en este ámbito fue la creación de “la primera revista, llamada HEMOS, con información para los pacientes hemofílicos y sus familiares. También participé en negociaciones con el gobierno federal, el Instituto Mexicano de Seguridad Social (IMSS), el Instituto de Seguridad y Servicios Sociales para los Trabajadores del Estado (ISSSTE), la Secretaría de Salud, la industria farmacéutica y el sector social, para lograr mejores tratamientos y productos seguros por el bien de los pacientes con hemofilia”.

48 www.lasalud.mx

“A partir de la presencia activa de los miembros de la Federación, las autoridades gubernamentales se concientizaron y se logró obtener una mejor atención con medicamentos de mejor calidad y se dejaron de utilizar los crioprecipitados sobre todo en el Imss, institución donde se brinda la mejor atención”.

Estas negociaciones involucraron a “los directores de empresas farmacéuticas como Bayer, Baxter, C.L. Behring y Novo Nordisk, en donde conocí a seres humanos extraordinarios y generosos. Así se lograron apoyos sustanciales en productos de alta calidad para la atención de los pacientes. Recuerdo de manera especial al Ing. Ángel Sosa, Porfirio Teisser, Froylan Fuentes, Irma Olvera, Lidia Aguilar y Gloria Fernández”.

“En julio de 2008 participé en la Cruzada Nacional a favor de las personas con hemofilia, hecho publicado en la revista NOTIFILIA”.

Con gran detalle, Ojeda recuerdó que “organicé el 1er. Curso de Capacitación Dental en el Manejo del Paciente con Hemofilia, realizado el 8, 9 y 10 de octubre de 2009. Fue auspiciado por la Federación Mundial, con ponentes de primera línea: asistió Carlos Gaitán Fitch como presidente de la FHRM y el vicepresidente de la Federación Mundial de Hemofilia el Sr. Cesar Garrido Donado para avalar dicho curso. Participaron 25 dentistas de varios estados de la República Mexicana, como Jalisco, Aguascalientes, Estado de México, Sinaloa, Veracruz, Oaxaca, Guanajuato, Guerrero, Michoacán, con el objetivo de

unificar criterios, actualización de conceptos en diagnósticos y tratamientos con el objetivo de lograr un tratamiento de excelencia en el manejo del paciente con hemofilia”.

La FHRM, más que una federación

“Fue para mí un honor y una gran satisfacción haber participado en el notable cambio de la atención médica de toda la población hemofílica del país bajo el liderazgo de Ma. Luisa Bastar. La aportación en la educación continua de la FHRM, que brindé a las asociaciones, pacientes, familiares y médicos tratantes, me dio la oportunidad de sembrar una semilla para lograr tratamientos modernos y lograr trascender en la calidad de vida”.

Ojeda agregó que “en este apostolado y por servir a mi prójimo, enseñanzas que aprendí de mis padres Sergio y Providencia, puede encontrar muchas cualidades y aprender de muchas personas que estuvieron a mi lado durante este gran proyecto. Se destacan la perseverancia, humildad y amor al prójimo. Estas cualidades las vi reflejadas en primer lugar en Ma. Luisa Bastar de Abreu, mujer de gran corazón y tenacidad inquebrantable; lo segundo, Martha Monteros Rincón, mujer con tesón y gran fortaleza; Elenita Benhumea de Martínez una dama íntegra y con una dulzura que con sus buenos modos convencía a todos; y por último una madre y hermana de primera, mujer que les dio toda la fortaleza a la familia Martínez Benhumea con su hermano Fredy y luego con su hijo Sebastián Mijares Martínez. Agradezco su ejemplo y cómo me ayudaron, en lo personal, a ser más humano y a enaltecer valores fundamentales”.

49 www.lasalud.mx

Tabasqueña de Hemofilia A.C. celebró 33 años de historia

LaSalud.mx.- El 27 de abril del 2022, en el Centro de Enseñanza de Hemofilia y Von Willebrand, se celebraron 33 años de Tabasqueña de Hemofilia A.C., la primera asociación formal de hemofilia en México.

“Se dice fácil, pero ha sido un trabajo continuo para poder hacer este sueño una realidad que vela por el bienestar de más de 540 pacientes con hemofilia y otras coagulopatías. Agradecemos a los profesionales de la salud y colaboradores por el esfuerzo, dedicación y compromiso que ha sido eje fundamental para que los pacientes tengan una mejor calidad de vida”, escribió la asociación en redes sociales.

Tabasqueña de Hemofilia A.C. tiene el objetivo de lograr el bienestar físico y mental de las personas con hemofilia mediante la enseñanza continua dirigida a las familias y los profesionales de la salud. Se convirtieron en el primer centro de enseñanza de hemofilia en América y 2° a nivel mundial. En este, con la colaboración altruista de un equipo multidisciplinario de trabajo y la participación activa de las instituciones médicas del sector salud, es posible formar personal con la capacidad y el conocimiento necesarios para poder diagnosticar, tratar y controlar la hemofilia; ofreciendo tratamientos de vanguardia y optimizando su uso.

Durante la conmemoración del aniversario, se destacó la trayectoria y participación de la fundadora de Tabasqueña de Hemofilia

A.C., la Sra. María Luisa Bastar de Abreu, presidenta de la asociación hasta la fecha. Además, en 1991 fundó la Federación de Hemofilia de la República Mexicana (FHRM). Ocupó el cargo de presidenta de octubre de 1991 a marzo del 2001, dejó una agrupación conformada por 22 asociaciones.

Entre sus logros resalta la autorización que consiguió en 1993 para introducir al país los medicamentos liofilizados de factor VIII y IX inactivados viralmente. Así como la inclusión de los mismos en el cuadro básico del Instituto Mexicano del Seguro Social (IMSS), los cuales a partir de 1994 comenzaron a adquirir.

Asimismo, consiguió, año con año, introducir al estado de Tabasco importantes donativos de medicamentos de vanguardia de factor VIII, IX y factor VII inactivados viralmente, mismos que a su vez son donados a hospitales y pacientes que lo requieren.

“En 2006, con apoyo del gobernador de Tabasco, Manuel Andrade Díaz, y un terreno donado, comenzamos la obra para construir el Centro de Enseñanza de Hemofilia y Von Willebrand, que hoy es el 2° más grande del mundo. Es una obra inmensa,

50 www.lasalud.mx
Por: Redacción

que cuenta con hotel para que el paciente pueda hospedarse, un área de rehabilitación, así como una alberca para que el paciente se ejercite. Como parte de las actividades en este centro, hay un campamento especial para niños, el cual reúne a 50 pequeños y a 30 médicos, enfermeras y capacitadores”, comentó la Sra. María Luisa Bastar de Abreu.

En la actualidad, en el Centro de Enseñanza de Hemofilia y Von Willebrand se imparten talleres de:

• Preparación de medicamentos

• Auto infusión

• Odontología

• Hidrokinesiterapia

• Psicología

• Fisioterapia

• Hematología

También imparten conferencias para los pacientes y familiares, con temas como:

• Hemofilia: generalidades

• Aprendiendo a vivir con hemofilia

• Terapias de rehabilitación e hidrokinesiterapia

• Autoestima en pacientes con hemofilia

• Calidad de vida en pacientes con hemofilia

• Rehabilitación de un evento hemorrágico inicial en casa

• El pulmón y la hemofilia

• Problema dental y su manejo en el paciente con hemofilia

• HLAB 27 en pacientes con hemofilia

• Afectación músculo esquelética en pacientes con hemofilia

• Enfermedad de Von Willebrand, su manejo y tratamiento

• La importancia de la prevención dental en los pacientes con hemofilia

• Sentido de vida

• Qué es una clínica de hemofilia

• Importancia del fortalecimiento

• Generalidades de hemofilia

• Manifestaciones músculo esqueléticas

• Identificación de hemartrosis, cómo prevenirla y cuidados

• Recambio de la dentición en hemofilia

• Cuidados generales de la cavidad oral

Recordemos que la hemofilia es un trastorno hemorrágico hereditario en el cual la sangre no se coagula de manera adecuada. Esto puede causar hemorragias espontáneas después de una cirugía o una lesión.

51 www.lasalud.mx

Historia de la Hemofilia en Tabasco

Por: Dr. Efraín Zurita Zarracino, Médico Hematólogo Adscrito en el Servicio de Medicina Interna del Hospital del Niño Dr. “Rodolfo Nieto Padrón”, Villahermosa, Tabasco, México.

cional de Pediatría con la Dra. Catalina Taboada y otros médicos del equipo multidisciplinario.

Tabasqueña de Hemofilia A. C.

integrada Federación de Hemofilia de la República Mexicana A. C. (FHRM).

Federación de Hemofilia de la República Mexicana A. C. (FHRM)

Realicé el curso de especialización en Hematología del Hospital Infantil de México Dr. Federico Gómez, donde mis profesores principales eran: Dr. Santos Abel Bello González, el Dr. José Luis Márquez Vázquez, la Dra. Ana María Mejía Domínguez y la Dra. Adolfina Berges García. Concluí en febrero del año 1990 y, posteriormente, regresé al Hospital del Niño en Villahermosa, donde realicé la especialidad en Pediatría Médica, becado por el gobierno del estado de esa fecha, mientras ejercía como Director el Dr. Manuel Fernández Torrano

Tengo gratos y claros recuerdos de la primera vez que me entrevistó la Sra. María

Luisa Bastar de Abreu en los pasillos del Hospital del Niño. Me mostró un frasco de un producto liofilizado de factor VIII del cual no tenía ningún conocimiento, solo la teoría de las terapias de ese entonces que se realizaban en el Hospital Infantil de México. Ese medicamento era el que le prescribían en Estados Unidos de Norteamérica, en un programa de profilaxis primaria a su hijo Jorge Enrique, quien tenía hemofilia A moderada sin ninguna secuela y mantenía un seguimiento continuado. Además, tenía un control en la Ciudad de México en el Instituto Na-

Después de dicha entrevista me invitó a integrarme en marzo de 1990 a la recién integrada Tabasqueña de Hemofilia A. C. que tenía como presidenta la Sra. Bastar. Aunque inició con 12 pacientes tabasqueños, en la actualidad cuenta con cerca de 550 integrantes de Hemofilia A, B, Enfermedad de von Willebrand y otras coagulopatías; provenientes del sur de Oaxaca, sur de Veracruz, Campeche, Chiapas y de otros estados de la República Mexicana. Sin embargo, la mayoría son tabasqueños.

En los primeros meses de mi colaboración me enviaron a recibir capacitación en las terapias de vanguardia de esa época al Instituto Mexicano del Seguro Social (IMSS) Siglo XXI. Más tarde, a España con el Dr. Manuel Moreno Moreno; después al Hospital de Ortopedia de los Ángeles Estados Unidos, con la Dra. Carol Kasper. En invierno de 1993, a Tel Aviv, Israel, con los doctores. Uri Martinowich, Sam Shulman y David Varón en el Hospital Tel Hashomer. Esta formación permitió integrar -junto con otros médicos del Hospital del Niño Tabasco- el manejo multidisciplinario en un hospital pediátrico, con el Dr. Eduardo Ramón Román, el Dr. Alfonso Jesús Bertolini Díaz, la trabajadora social Josefina Tovilla y la Enfermera Lucía Jiménez. Siempre contando con el apoyo de Tabasqueña de Hemofilia A.C. y también de la recién

La FHRM inició con 22 estados miembros por iniciativa de la Sra. María Luisa Bastar de Abreu y fuimos participes de la gestión y promoción del 1o Congreso Mundial de Hemofilia en la Ciudad México en 1944 con el Dr. Raúl Ambriz como presidente de este evento.

A partir del Congreso, asistimos a cursos nacionales e internacionales en diferentes países sede de las reuniones de la Federación Mundial de Hemofilia (World Federation of Hemophilia, WFH), al igual que los demás integrantes del equipo multidisciplinario: ortopedistas, químicos, enfermeras, trabajadoras sociales, odontólogos, entre otros. También participamos en congresos estatales y regionales en más de 25 estados de la República Mexicana, promoviendo el conocimiento de la hemofilia A, B, Enfermedad de von Willebrand y otras coagulopatías.

En los años venideros, se integraron a Tabasqueña de Hemofilia diferentes especialistas que fortalecieron en mucho los ámbitos médico y social. Así como la atención

52 www.lasalud.mx

del paciente con hemofilia. Tal es el caso del químico Raúl Antonio Solís Martínez, hoy en día con un doctorado en Ciencias, él inició los estudios de laboratorio para el diagnóstico correcto de forma gratuita desde el inicio hasta la fecha, al igual que los especialistas y expertos en Odontología Pediátrica: Laura Beatriz Isidro Olan y Marco Antonio Rueda Ventura.

Destacó la llegada del Dr. Guillermo Capetillo Morales, personaje con mucha pasión e innovador de la técnica de embolización de la arteria genicular media para cohibir la hemorragia crónica y prevenir la artropatía hemofílica principalmente en las rodillas. Asimismo: el Dr. Eugenio Quevedo Ramos, el Dr. Francisco Javier Magdaleno Ramírez, el Dr. Fausto López Manrique, el Dr. Juan Antonio Nemer Del Campo, el Dr. Reynaldo Ramírez Chacón, la Dra. Sonia María Castro Noriega, la Dra. Matilde Hernández Trejo, la Dra. Rosa Margarita Irineo Torres, el Dr. Cesar Nolasco Cansino, así como el Dr. Horacio Caviglia.

Recuerdo con mucha gratitud las grandes enseñanzas de nuestro querido maestro el Dr. Federico Fernández Palazzi de Venezuela (QEPD), así como de otros maestros de Colombia, Brasil, Argentina, España, Israel y Estados Unidos Americanos. Con su aporte bibliográfico en los libros y artículos, pudimos avanzar aquí en el sur de la República Mexicana con las terapias innovadoras y modelos de profi-

laxis primaria y secundaria, sin olvidar la capacitación del paciente y sus familiares.

Centro de Enseñanza en Hemofilia

En tanto, la familia Abreu Bastar, fue la que gestionó e integró el 2° Centro de Enseñanza del mundo en Hemofilia; el 1° está en Totana, perteneciente a la región de Murcia al sur de España. Este Centro de Enseñanza en Villahermosa Tabasco, fue apoyado con recursos de diferentes asociaciones civiles no gubernamentales y gubernamentales, sobre todo el Lic. Manuel Andrade Díaz, además de las industrias farmacéuticas, entre otros.

avalados por la Secretaria de Salud y la Universidad Juárez Autónoma de Tabasco. Dichos cursos son dirigidos a todo el personal médico y paramédico de todos los hospitales de Tabasco, públicos y privados principalmente. Cabe mencionar al hospital privado que ha sido generoso, Hospital de Nuestra Señora de Guadalupe, encabezado por su Director el Dr. Cesar Calderón Valencia. (Incluyendo todo el personal médico y paramédico, así como los administrativos de dicho hospital).

También, me es grato agradecer a hoteles y otros servicios relacionados, así como a la sociedad civil, los cuales han apoyado a este Centro de Enseñanza para llevar a cabo todos los campamentos de verano en los que hemos participado.

Actualmente, estamos en pausa por la pandemia del Covid-19, pero esperamos reiniciar pronto con todas las actividades.

Me gustaría mencionar, a título personal y también a nombre de todos los demás integrantes, que apoyamos con mucho respeto y cariño a todos los que conforman Tabasqueña de Hemofilia y sus familiares. En especial, me gustaría hacer un reconocimiento a la Sra. María Luisa Bastar de Abreu, que ha sido la promotora, gestora e iniciadora de un legado que quedara para la posteridad, digno de mencionar para nosotros los tabasqueños y mexicanos. Estoy orgulloso de ser partícipe de esta gran y honorífica labor en pro de la hemofilia en México y el resto del mundo.

Este centro cuenta con gimnasio terapéutico, alberca, hotel, consultorios de valoración médica, servicio odontológico y salón de usos múltiples, donde se imparten cursos de capacitación médica y social por todos integrantes del área médica que apoyamos de forma altruista a la asociación, los cuales son

53 www.lasalud.mx
54 www.lasalud.mx 7 9 ww w.l a s a l u d m x Nuestros S ervicios 2013-2014 PREMIO NACIONAL DE PERIODISMO “CLUB PERIODISTAS DE MÉXICO” 2013 PREMIO INTERAMERICANO “AIRE VITAL” Grupo Editorial Mundo De Hoy 32 años de experiencia profesional nos respalda #EstamosEnLasMejoresManos
55 www.lasalud.mx 8 0 ww w.l a s a l u d m x ¡Estamos en las mejores manos y en tu pantalla! contacto@mundodehoy.com publicidad@mundodehoy com

La FHM y la FHRM colaboran para mejorar el tratamiento de la Hemofilia en el Sistema de Salud Nacional Mexicano

Por: Redacción

LaSalud.mx.- En un desayuno previo a la conmemoración del Día Mundial de la Hemofilia, el 17 de abril del 2022, LaSalud. mx tuvo el honor de compartir la mesa con personalidades destacadas de la medicina y la sociedad civil que han emprendido una lucha contra la enfermedad que afecta a cerca de 6 mil personas en México.

En la reunión participaron: Cesar Garrido, Presidente de la Federación Mundial de Hemofilia (FMH); Minerva Cruz Ra-

mírez, Presidenta de la Junta Directiva de la Federación de Hemofilia de la República Mexicana A.C. (FHRM); la Dra. Adolfina Berges García, asesora médica de la FHRM; y Luis Miguel Izquierdo, Gerente Regional para Centroamérica y el Caribe de la FMH.

En el marco de su primera visita oficial al país después del periodo marcado por la pandemia de COVID-19 y en entrevista exclusiva con LaSalud.mx, Cesar Garrido

destacó que para la FMH, México es un país clave que merece apoyo porque ya ha tenido un crecimiento importante dentro del mundo de la Hemofilia. También porque tiene las condiciones, frente a la perspectiva de la federación, para que forme parte de un programa denominado PACT (Path to Access to Care and Treatment), el cual, tiene como objetivo principal el mejoramiento del acceso a medicamentos, y del tratamiento para la hemofilia.

56 www.lasalud.mx

Además, tiene tres áreas prioritarias:

• Mejorar el acceso a tratamiento en colaboración con las instituciones gubernamentales de salud.

• Mejorar el diagnóstico y registro de pacientes con desórdenes de la coagulación.

• Dar capacitación a profesionales de la salud, organizaciones de pacientes y a la comunidad sobre identificación, diagnóstico y tratamiento.

Su implementación se da a través de tres componentes clave:

• Capacitación e instrucción en línea.

• Planes nacionales de acceso.

• Reuniones regionales y mundiales.

“Se trata de un programa integral de la FMH de aproximadamente cuatro a cinco años, depende de los países que se han inscrito a este apoyo, donde se diseña una serie de estrategias que van desde el aspecto de como conformar un trabajo de la asociación de pacientes, en este caso la FHRM, para hacer incidencias en las políticas de salud de los organismos del Estado Mexicano; por su puesto, va acompañado de entrenamiento, capacitación y refrescamiento a los conocimientos que tienen los profesiones y trabajadores de la salud”, contó.

“Aunque son varios países en el mundo que conforman PAC, México está entre los 10 primeros de este movimiento inicial”, comentó. Hasta el momento se encuentran 20 países participando entre los que destaca Nicaragua, Costa Rica, Argentina, Brasil y Bolivia.

También detalló que durante su visita han estado trabajando directamente con la directiva de la FHRM, donde es notable la presencia de la política para el rol

que debe de llevar la Federación. Ha llevado conocimiento a la oficina de lo que es política de salud, trabajando con las instituciones principales como el Instituto Mexicano del Seguro Social (IMSS), Instituto de Salud para el Bienestar (INSABI) el Instituto de Seguridad y Servicios Sociales de los Trabajadores del Estado (ISSSTE) y organizaciones enfocadas en el tema de la hemofilia.

En ese sentido, Garrido reconoció que el trabajo previo que había realizado la FHMR facilitó el acercamiento de los representantes de la FMH con las autoridades de los diversos sistemas de salud mexicanos.

Sin embargo, mencionó: “los resultados en estos momentos son más subjetivos que objetivos porque es el primer acercamiento con la Federación Mexicana. Todavía es temprano para establecer objetivos específicos, pero la prioridad que tenemos es la de firmar un convenio entre la FMH y otra institución como el IMSS, intermediado por la FRMH para así poder establecer objetivos más específicos”.

Por su parte, Miguel Izquierdo, habló sobre el lanzamiento del programa PAC en México, el cual “todavía no tiene lanzamiento oficial, sino que aún se ha estado trabajando con la enfermera Minerva Cruz y su equipo de la junta directiva de la FHRM,” así como asesores médicos. Este programa inició en 2020 y México se une en 2022.

Ante el panorama de México, Miguel Izquierdo, comentó que es muy importante llegar a los sistemas de salud a presentar una propuesta clara de cómo quieren que sea la atención de los pacientes, presentar un modelo de atención multidisciplinario donde se prevengan los sangrados, lesiones articulares. Es un momento muy importante e interesante en la atención de los desórdenes de la coagulación en el país.

Detalló: “México tiene desafíos particulares como ser el décimo primer país más poblado del mundo y con muchos sistemas de salud que, aunque tienen relación entre sí, no están integrados totalmente. Por ello, es muy importante presentar una

57 www.lasalud.mx

propuesta clara para que los organismos sepan cómo queremos que sea la atención de los pacientes con hemofilia”.

“México formó parte, durante muchos años, de GAP (Global Alliance Progress), otro programa de la FMH. De hecho, este programa se clausuró en el país con la inclusión de los pacientes pediátricos en el Seguro Popular. Ahora se busca retomar este trabajo considerando que ha habido muchos avances del 2013 a la fecha que fue cuando se cerró el programa anterior”, narró.

En su intervención en esta reunión, la enfermera Minerva Cruz, habló sobre el significado que tienen estas reuniones entre la FMH y la asociación que representa:

“La visita del presidente de la FMH es sumamente importante. Este programa nos va a fortalecer porque nos va a dar el apoyo para que se pueda mejorar la atención que hay con los pacientes Ahora que ya tenemos actualizado el protocolo de atención por parte del INSABI y de la Secretaria de Salud, los pacientes van a tener mejor atención, sobre todo los adultos”.

A su vez, la Dra. Adolfina Berges García, opinó que la visita de Cesar Garrido a México es un orgullo porque es un presidente latino y, además, por primera vez tenemos un representante mexicano dentro de la FMH: Miguel Izquierdo.

“Considero que ahora México puede ser ‘boom’ en hemofilia y deberíamos llegar a tener lo que tanto hemos estado solicitando: que haya un tratamiento integral para todas las personas con hemofilia, independientemente de su situación socioeconómica o si tienen seguridad social. Ese es el propósito que buscamos, que haya un tratamiento para todos”, comentó.

Sobre la situación del sistema de salud del país, la Dra. Adolfina agregó que en México ya hay instituciones que

están en el top de tratamiento con una profilaxis a dosis alta. Tienen tratamientos con nuevas moléculas, por ejemplo, una no requiere de un factor específico, sino que esa molécula va a hacer el papel del factor óptimo, esa es una novedad increíble para tratar la hemofilia tipo A para paciente con o sin inhibidores.

“Esperamos que ese boom latinoamericano que se tiene dentro de la Federación Mundial, logre llenar todo el vacío de los adultos que no tienen tratamiento de ningún tipo para la hemofilia, y que no tienen acceso a la seguridad social”, agregó.

Desde su experiencia, Miguel Izquierdo, habló sobre la importancia del tratamiento y de identificar la enfermedad en cada paciente. “Hacia el 2012 -2013 yo estaba convencido de tener un buen tratamiento porque la cantidad de sangrados que tenía al mes habían disminuido. Tenía

más o menos 12 sangrados por año y sentía que todo estaba muy bien, que todo estaba mejorando, hasta que empecé con un programa de ejercicios y natación”, mencionó.

“La Dra. Adolfina me dijo que no debería tener 12 sangrados al año. A partir de eso, comencé a llevar el registro de los sangrados y molestias que estaba teniendo. Me acerqué a mi hematóloga, y me confirmó que en efecto estaba teniendo más sangrados de los que debería tener, me empezó a subir la dosis, y con esto mis sangrados se redujeron a la mitad. Ahora solo tengo dos a tres sangrados por año”, continuó.

Con esto resaltó que los pacientes con hemofilia tienen la oportunidad de realizar una vida normal sin preocuparse constantemente por los sangrados que puedan llegar a tener, lo que, a su vez, impacta en una mayor calidad de vida.

58 www.lasalud.mx

La hemofilia es una enfermedad hereditaria en la cual los pacientes carecen de un factor de coagulación (FVIII en el caso de la hemofilia A) lo que les impide coagular de forma correcta en caso de una lesión vascular. La opción de tratamiento preferida es la terapia de reemplazo (reponer el factor deficiente).2

La hemofilia sigue teniendo una gran carga de la enfermedad debido a que la profilaxis con factor de vida media estándar, requiere de infusiones al menos 3 veces a la semana.2

Los concentrados de factores de coagulación de vida media extendida reducen el número de infusiones y extienden el tiempo entre infusiones profilácticas.1

La hemofilia es una enfermedad hereditaria en la cual los pacientes carecen de un factor de coagulación (FVIII en el caso de la hemofilia A) lo que les impide coagular de forma correcta en caso de una lesión vascular. La opción de tratamiento preferida es la terapia de reemplazo (reponer el factor deficiente).2 C-ANPROM/MX/ADY/0031

Los factores de vida media extendida (EHL, por sus siglas en inglés) tienen el potencial de atender necesidades no cubiertas de los pacientes que son tratados con factores de vida media estándar.2,3

Los EHL, además de mejorar las metas clínicas al igual que cualquier otro factor, tiene ventajas adicionales tales como: alentar a los pacientes a cambiar de terapia a demanda a profilaxis, mejorar la calidad de vida de los pacientes que ya están en profilaxis, reducir la carga que implican las infusiones frecuentes, mejorar el apego, mejorar las metas clínicas, potencialmente, permitirles una vida más activa y dependiendo del régimen seleccionado, la posibilidad de lograr niveles de

FVIII mayores.2,4

Además de lo anterior, otra estrategia para mejorar las metas clínicas en los pacientes con hemofilia es el uso de la farmacocinética. Esto significa, que con base en el perfil farmacocinético de cada paciente, se puede determinar la dosis y el régimen profiláctico necesario de forma individual para mantener un nivel valle predeterminado según las necesidades de cada paciente. Por ejemplo, esto puede ser que para un paciente físicamente muy activo, se pueden calcular niveles valle mayores para prevenir y evitar los sangrados cuando haga actividad física. Sin embargo, si un paciente tiene una vida más sedentaria y prefiere tener intervalos de dosificación más espaciados, también se puede lograr.2,4

En conclusión, tanto con los productos de vida media extendida como con la profilaxis basada en farmacocinética, se puede alcanzar un tratamiento personalizado para cada paciente, ya sea según sus preferencias, mejorando el apego, la calidad de vida y por supuesto, las metas clínicas de su enfermedad.2-4

59 www.lasalud.mx
Los concentrados de factores de coagulación de vida media extendida reducen el número de infusiones y extienden el tiempo entre infusiones profilácticas.1
C-ANPROM/MX/ADY/0031
Referencias: 1. López-Arroyo JL, Pérez-Zúñiga JM, Merino-Pasaye LE, et al. Consenso de hemofilia en México. Gac Med Mex. 2021;157(Supl 1):S1-S37. 2. Srivastava A, Santagostino E, Dougall A, et al. WFH Guidelines for the Management of Hemophilia, 3rd edition. Haemophilia. 2020;00:1–158. 3. Chowdary P. Extended half-life recombinant products in haemophilia clinical practice –Expectations, opportunities and challenges. Thrombosis Research. 2020;196:609-617. 4. Ar MC, Balkan C, Kavakli K. Extended Half-Life Coagulation Factors: A New Era in the Management of Hemophilia Patients. Turk J Hematol. 2019;36:141-154.

Cesar Garrido, actual presidente de la FMH

LaSalud.mx.- Cesar Garrido, actual presidente de la Federación Mundial de Hemofilia (FMH) platicó, de manera exclusiva, con LaSalud.mx sobre los logros que ha tenido como líder de esta corporación. Además, relató cómo se vivió el Congreso Mundial de Hemofilia 2022 en Montreal y los avances que ha tenido la región de Latinoamérica.

Cesar Garrido nació en Caracas, Venezuela, está casado y tiene dos 2 hijos (uno de ellos con hemofilia tipo A) y desde hace más de 23 años ha colaborado en diversas organizaciones de hemofilia y enfermedades poco comunes tanto en su país natal como en el exterior.

Estos “años de experiencia y aprendizaje acumulado son importantes, pero como

presidente sigo aprendiendo y no lo digo como una frase trillada, sino como algo sincero. Recientemente he aprendido que existe la posibilidad, aún en países africanos, de que la hemofilia tenga un avance significativo”.

“Estuve en Nairobi, Kenia visitando hospitales y universidades relacionadas con la hemofilia. Aparte del optimismo y la resiliencia que tienen los kenianos para estar dispuestos a mejorar, pude comparar cuando los visité 10 años atrás y se pensaba que en un continente donde no había agua, comida, ni ciertas asistencias pues no había esperanza, pero sí. Hemos estado trabajando con ellos en un programa de ayuda humanitaria y la reacción no ha sido sino de esperar una especie de dadiva o limosna sino de tra-

bajar, progresar y entrenar a sus médicos. Incluso el gobierno está dispuesto a hacer inversión en salud”.

En ese sentido resaltó que la ecuación mundial es que los países subdesarrollados tienen dificultades para el acceso al tratamiento “pero esto puede cambiar”. Por ejemplo, “en Kenia, Zambia y Nigeria usan los mismos medicamentos que los países de primer mundo gracias al Programa de Ayuda Humanitaria”.

Cesar Garrido, dos años como líder de la FMH

A dos años como presidente de la FMH, Cesar Garrido comenta que “el logro que se me puede adjudicar es haber abierto la puerta para los cambios de la FMH, lo que

60 www.lasalud.mx
2020 - 2025 Por: Redacción

significó una apertura a propuestas dentro del mismo equipo y grupo de trabajo para diseñar una estrategia moderna para el acercamiento tanto a las autoridades como a los mismos tratadores. Puedo resaltar la firma del convenio con el Grupo Cooperativo Latinoamericano de Hemostasia y Trombosis (Grupo CLAHT) que no se había realizado nunca y que permite que ellos nos apoyen en la tercera edición de la guía para el tratamiento de la hemofilia”.

“Otro de los acuerdos que pronto se estará llevando a cabo es el primer taller de capacitación para los técnicos tomadores de decisión de la Secretaría Ejecutiva del Consejo de Ministros de Salud de Centroamérica (SE-COMISCA) que se llevará a cabo durante 3 días y serán entrenados en el manejo de las licitaciones indicadas para este tipo de tratamientos”.

El presidente de la FHM también destaco “la estrecha relación afianzada con la firma de un acuerdo en 2021 con la Organización Mundial de la Salud (OMS) y hace unas semanas tuvimos una reunión virtual con los directores regionales de la OMS para poder trabajar en el tratamiento de las personas con trastornos de la coagulación y, concretamente, conformando parte de una coalición internacional para los países de bajo - medio ingreso económico donde es difícil adquirir los medicamentos para tratar la hemofilia y con la Sociedad Internacional de Transfusión de Sangre (ISBT) para conseguir un screnning y fraccionamiento del plasma disponible para los casos de países pobres”.

“Prácticamente eso es el reflejo de ese cambio estratégico donde se ha dinamitado la respuesta y acercamiento de la federación con los pacientes. Queremos hacerlo más rápido, todavía tengo esa frustración porque no he logrado que la velocidad sea la que debería de tener para reducir la distancia entre los que tienen acceso al medicamento y los que todavía no tienen esa suerte, pero aspiro a que dentro de dos años tengamos esos números”.

“Quisiera que los pacientes fueran diagnosticados de forma más rápida y que también tuvieran acceso casi inmediato al tratamiento. Es lo que no ha salido tan ideal, pero está dentro de nuestros planes porque una cosa es mi ambición personal y otra cosa es lo que se contempla dentro de un programa conservador para no cometer errores. Todavía hay tiempo para lograrlo”, aseguró Garrido.

“Los planes a futuro siguen dentro de un plan estratégico a cinco años que se planeó del 2020-2025 y siguen los planes respecto a la información que deben aportar los países con respecto al registro mundial: somos 147 países a los que la federación manda la anual global survey, y solo la han respondido 109. Mientras menos información tengamos, el obstáculo es mayor, por eso es tan importante que los países compartan la data con nosotros”.

“Una buena noticia es que en nuestro plan estratégico queríamos incrementar 25% el número de diagnosticados y ya en lo que va de este año ya llevamos un 10% de crecimiento de información de la data y esto creció sencillamente por un país que dio su información, para que reconozcamos la importancia de la participación en la data”, dijo Garrido para instar al resto de los países.

“También sigue el resto del diagnóstico de la Enfermedad de von Willebrand: tenemos que aumentar un 10% en este sector por-

que sigue subestimado porque no es tan impactante el síntoma de esta enfermedad en comparación con la hemofilia. Sigue también las firmas de acuerdos con 30 países por eso viajo a las ciudades de Zambia, Nigeria, Pakistán, Egipto, Nepal, Bangladés, Nueva Delhi, donde los ministerios de salud acordarán un compromiso para el tratamiento de estas personas”.

El primer congreso híbrido

“La pandemia demostró lo que somos capaces cuando tuvimos de forma pionera en la materia de hematología y hemofilia porque el primer congreso virtual que fue muy exitoso. Y eso fue lo que nos permitió atrevernos a realizar el congreso híbrido en mayo en Montreal. Apenas tuvimos 2 meses para organizarlo, aunque sabíamos que la presencia no iba a ser mayoritaria, pero llegamos a tener las 2 mil 120 personas de forma presencial y 1900 aproximadamente de forma virtual. Esto nos dio experiencia y nos enseñó que no hacer”, comentó Garrido.

El Congreso Mundial de Hemofilia se llevó a cabo en mayo de este año de forma híbrida en Montreal, Canadá. Cesar Garrido expresó que “a pesar de la pandemia de COVID-19, el público quería verse y volver a encontrarse. Aunque hay algunas actividades que se pueden mantener de forma remota, hay algunas que son más impactantes si se llevan a cabo cara a cara como el convencer a un líder, una

61 www.lasalud.mx

comunidad, un técnico de laboratorio o un médico”.

“En el congreso, la balanza se inclinó a favor de la terapia génica que se visualiza como la potencial cura de la hemofilia, sin embargo, también se reafirmaron otros tratamientos con una gran efectividad que logran adherencia al paciente porque se entiende que el tratamiento profiláctico es lo mejor, pero mantener la adherencia es complicado: tener que transfundirse 2-3 veces a la semana no es algo que una persona acepte fácilmente. Entonces cuando aparece una serie de medicamentos y terapias que permiten tener una infusión 2 veces al mes es más atractivo y aceptado por el paciente”.

Respecto a la terapia génica comentó que “se sigue vigilando qué consecuencias tiene. Se sabe mucho, pero también al mismo tiempo y de forma irónica sabemos muy poco, falta todavía mucha investigación”.

Incluso, en el Congreso de la Nacional Hemofilia Foundation (NHF, por sus siglas en inglés), al que recientemente asistió Cesar Garrido, “el comentario general es que en cuatro años se tendrá el comentario final de si la terapia génica es la solución. De principio queda el costo

¿quién paga por entre 1-3 millones de dólares por ello? Hoy en día ya tenemos terapia génica aceptada por la Administración de Alimentos y Medicamentos de Estados Unidos (FDA, por sus siglas en inglés) y la Agencia Europea de Medicamentos (EMA, por sus siglas en inglés) para factor 8 y 9. Mientras tanto, la nuestra estrategia es indicarles a los pacientes que hay otras alternativas que con adherencia se pueden tener menos sangrados y permiten estar un año sin sangrar o tener 2-4 años cuando antes se hablaba de 40 anuales. Eso es un cambio de calidad de vida bastante importante”.

Garrido reconoció que en la investigación de la terapia génica “se está tomando en cuenta la opinión del paciente y como acepta ser curado porque no es fácil para alguien que ha tenido hemofilia toda su vida y de repente es curado. Parece una tontería, pero psicológicamente tiene efectos importantes”.

El Congreso de la NHF “es anual y este año se llevó a cabo en Houston. Terminó el 28 de agosto de 2022 y, por primera vez, fue virtual. Hubo muchos comentarios sobre la terapia génica y el tratamiento igualitario porque aún en Estados Unidos hay una diferencia entre ciertos sectores.

Además, recibieron a 8 becados miembros de la coalición de las Américas, es decir, de diferentes organizaciones de pacientes de las Américas para asistir a los entrenamientos durante 3 días. Es la primera vez que esto se realiza gracias a Hemofilia Georgia, miembro de la NHF”.

“Otro de los puntos que también se trató con mucho énfasis es la importancia en la data del subregistro mundial y que persiste en América Latina para que haya menos distancia entre lo estimado y lo existente hasta el momento diagnosticado”.

Garrido enfatizó que gracias a estos temas y reuniones “se va madurando más. Ya se habla más de hemofilia y otros desórdenes de la coagulación en mujeres y niñas, aunque sigue siendo poca la estadística acumulada hasta el momento y sigue siendo poca la experiencia que se tiende de ello, pero ya se está rompiendo el estigma de que la mujer no tenía hemofilia y que tampoco tenía derecho de estar en la comunidad, claro que lo tiene y estamos trabajando en eso”.

“Hago mención de la hemofilia y algún otro desorden de la coagulación porque cualquier persona piensa en que pasa con las mujeres durante su periodo de menstruación, pero eso no ha significado la muerte per se de una mujer con hemofilia. También se ha visto reflejado que las mujeres tenían cirugías muy invasivas creyendo que tenían otra patología cuando se trataba de un desorden de la coagulación. Por ejemplo, en algunos casos eran víctimas de una histerectomía, pero si hubieran tenido un tratamiento para el desorden de la coagulación, eso pudiera haber sido evitado”.

En ese contexto “cada vez se afirma más la medicina personalizada en el tratamiento de la hemofilia, podemos estar optimistas porque ahora hay un camino más iluminado que antes: por donde seguir y por donde no. Antes había mucha incertidumbre y ahora mucha claridad”, finalizó Garrido.

62 www.lasalud.mx

Takeda México presenta nuevo tratamiento para pacientes con Hemofilia Tipo A

LaSalud.mx.- Takeda, biofarmacéutica con más de 240 años de historia, lanza en México una innovadora terapia para atender a pacientes con hemofilia tipo A. Se trata de un nuevo factor de coagulación VIII recombinante pegilado que brinda la protección necesaria para prevenir o reducir la frecuencia de hemorragias espontáneas y traumatismos de manera segura.

Se calcula que en nuestro país existen 6 mil pacientes con esta enfermedad y el 60% de estos casos son graves. El riesgo de no recibir el tratamiento en el momento preciso, puede causar debilitamiento y dolor profundo, principalmente en articulaciones. Con el tiempo, las hemorragias músculo esqueléticas pueden producir artritis, dolor crónico y daño articular que afectan el movimiento, la discapacidad y limitación del rango de movilidad articular.

La hemofilia es un trastorno hereditario que causa coagulaciones irregulares en la sangre, lo cual produce hemorragias. En estos pacientes, en su mayoría hombres, pueden producirse sangrados espontáneos o excesivos (internos y externos) después de una herida o lesión. También, pueden presentar afectaciones físicas y psicosociales.

En la actualidad, existen tres tipos de hemofilia: A, B y C; los cuales se diferencian por el factor dañado. Por su parte, la hemofilia tipo A, conocida como la “hemofilia clásica”, es la más común, y afecta al factor VIII de la coagulación.

“La hemofilia puede tratarse de varias formas. Entre ellas, con factores de coagulación derivados del plasma o con factores de coagulación recombinantes, los cuales son más seguros. Al sólo proporcionar el factor exacto de coagulación requerido por el paciente, lo que reduce o previene la frecuencia de los sangrados”, destaca el Dr. Rodolfo Manuel Guajardo Moguel, líder médico para Hemofilia en Takeda.

El factor de coagulación VIII recombinante pegilado es un tratamiento personalizado desarrollado por Takeda para la hemofilia tipo A en adolescentes y adultos, que brinda la protección necesaria para prevenir o reducir la frecuencia de hemorragias y traumatismos de manera segura. El nuevo tratamiento de Takeda ha demostrado que al menos 70.4% de los pacientes tratados con al menos una infusión semanal, tuvieron una reducción importante de sangrado. Además, 85% de los pacientes tratados dejaron de presentar sangrados totales en un año, lo que les permitió recuperar su calidad de vida.

“Actualmente, a través de la investigación y el desarrollo de tratamientos para la hemofilia, los pacientes que antes tenían una esperanza de vida de 16 años, ahora pueden gozar de una vida normal y plena. Con este lanzamiento, Takeda mantiene su compromiso con mejorar el nivel de control de los pacientes con hemofilia en México, habilitando los tratamientos personalizados y mejorando la forma en que se vinculan médicos y pacientes”, agregó el líder médico de Takeda.

Bajo esa premisa, Takeda trabaja para ser líder en el desarrollo de soluciones innovadoras y seguras para la hemofilia, con el objetivo de satisfacer las necesidades actuales en los trastornos hemorrágicos. Acompañado de iniciativas que mejoren el acceso a la atención y el tratamiento independientemente del lugar donde vivan.

Referencias

63 www.lasalud.mx
1. Instituto Mexicano del Seguro Social; comunicado de prensa Especialistas del IMSS atienden a pacientes con Hemofilia (No. 089/2019) 2. Centro Nacional de la Transfusión Sanguínea. Manual de Atención Integral de Hemofilia. México; 2017: 1-28 3. Cuidados Generales y Tratamiento de Hemofilia. Federación Mundial de Hemofilia; 2012

Lo más sobresaliente del Congreso Mundial de la FMH 2022

LaSalud.mx.- El Congreso Mundial 2022 de la Federación Mundial de Hemofilia (FMH) concluyó el 11 de mayo en Montréal, Canadá. El evento contó con miles de asistentes participando presencial y virtualmente durante cuatro días. Los asistentes escucharon docenas de sesiones, presentaciones relámpago, presentaciones de carteles electrónicos y presentaciones orales de última hora.

Las presentaciones más destacadas

La sesión “El desafío de evaluar y manejar el dolor”, en el Congreso Mundial 2022 de la FMH, fue presidida por Barbara Konkle, directora de investigación y profesora de medicina en el Centro de Washington para Trastornos Hemorrágicos, EE. UU., y miembro de la junta médica de la Federación Mundial de Hemofilia.

Tyler Buckner, profesor asociado en Medicina-Hematología en la Universidad de Colorado, Campus Médico Anschutz, Estados

Unidos, dio una charla llamada “Evaluación del dolor desde una perspectiva centrada en el paciente”. Examinó por qué necesitamos medir el dolor, cómo medir el dolor y qué hacer con los resultados. Los hallazgos muestran que existe una alta prevalencia de dolor entre las personas con un trastorno hemorrágico (PWBD), en particular, en aquellas con enfermedad articular, y que el dolor tiene un gran impacto en la calidad de vida del paciente.

“Manejo del dolor desde una perspectiva biopsicosocial amplia” estuvo a cargo de Nathalie Roussel, profesora asociada de la Universidad de Amberes, Bélgica. Dijo que existen muchos desafíos para evaluar el dolor, como la gravedad de la hemofilia, la salud de las articulaciones, la salud mental, las creencias erróneas, el descondicionamiento y la mala alineación. En cuanto al manejo del dolor, debemos considerar muchos factores, como la información y la comunicación, el estilo de vida, los aparatos ortopédicos, las ayudas y otras adaptaciones, la medicación, las opciones quirúrgicas, el ejercicio y la intervención psicológica.

64 www.lasalud.mx
Por: Redacción

Valérie-Anne Chantrain, candidata a doctorado en la Universiteit Antwerpen, Bélgica, dio una charla llamada “El impacto del dolor en el sueño y la calidad de vida”. Encontró que, en términos de sueño, los pacientes con dolor crónico pasan menos tiempo dormidos, tienen un mayor retraso en el inicio del sueño; experimentan una menor eficiencia del sueño y tienen despertares.

Ulrike Reiss, directora del Centro de Tratamiento de Hemofilia, St. Jude Children’s Research Hospital, EE. UU., presentó la “Iniciativa de St-Jude en países de ingresos bajos y medianos”. los hallazgos de efectividad acelerarán el acceso equitativo a la terapia génica para la hemofilia.

Lei Zhang, profesor y vicedirector del Centro de Trombosis y Hemostasia en el Instituto de Hematología y Hospital de Enfermedades de la Sangre, Tianjin, China, dio su charla “Terapia génica en China”. Descubrió que la primera prueba de terapia génica con tropismo hepático basada en AAV para pacientes chinos con hemofilia B es eficaz y segura.

“Terapia génica en Japón” estuvo a cargo de Tsukasa Ohmori, doctor en la Universidad Médica Jichi, Tochigi, Japón. Ohmori dijo que en Japón el 32 % de las personas con hemofilia quieren terapia

génica, mientras que el 49 % no está seguro. Las expectativas de la terapia génica estaban en su efectividad, en su capacidad de penetración (cuántos pacientes han sido tratados), en la duración de la efectividad del tratamiento y en el costo del tratamiento. El progreso ha sido positivo, con el apoyo de la Agencia Japonesa para la Investigación y el Desarrollo Médico (AMED).

“Terapia génica en la India” estuvo a cargo de Alok Srivastava, profesor del Departamento de Hematología, Christian Medical College, Vellore, India. En esta dijo que su estudio encontró que la terapia génica basada en vectores lentivirales

para la hemofilia ofrecía un nuevo paradigma en evolución para la terapia génica de la hemofilia A, diferente en muchos aspectos del enfoque basado en AAV.

Robert Sidonio Jr., hematólogo pediátrico de Aflac Cancer and Blood Disorders, Estados Unidos, brindó una charla llamada “Nomenclatura para mujeres con hemofilia/portadoras de hemofilia” Mencionó que aproximadamente 1 de cada 5 personas con hemofilia leve son mujeres, y que los portadores de hemofilia tienen una mayor tendencia al sangrado clínicamente relevante. Los tipos de sangrado que uno puede esperar ver en los portadores están relacionados con la extracción de dientes, cirugía, parto, hemartrosis, menorragia y epistaxis.

También se presentó la aplicación móvil myWBDR, diseñada para facilitar que las PWH recopilen datos de resultados informados por los pacientes, permitiéndoles participar en el seguimiento de sus propios resultados de salud y contribuyendo a mejorar nuestro conocimiento sobre la hemofilia a través de los datos.

Sobre el próximo congreso…

La siguiente edición del Congreso Mundial 2023 y para 2024 de la FMH se llevará a cabo en Kuala Lumpur, Malasia. ¡No te lo pierdas!

65 www.lasalud.mx

Roche amplía su compromiso con el Programa de ayuda humanitaria de la FMH

Por: Redacción

LaSalud.mx.- La terapia de reemplazo sin factor donada por Roche será utilizada por el Programa de ayuda humanitaria de la Federación Mundial de Hemofilia (FMH) para seguir tratando a unas mil personas con hemofilia A en países donde el acceso al tratamiento es escaso o nulo.

La asociación entre Roche y la FMH comenzó en 2019 y fue un hito porque marcó la primera vez que los pacientes en países en desarrollo tuvieron acceso a una terapia de reemplazo sin factor. Desde entonces, el tratamiento donado ha beneficiado a más de 940 personas en 30 países

“Nuestro compromiso renovado nos permitirá continuar ayudando a las personas con hemofilia A que más lo necesitan”, dijo Bill Anderson, CEO de Roche Pharmaceuticals. “Nos enorgullece que la FMH nos reconozca como contribuyente visionario del programa y nos complace anunciar que nuestro compromiso con el Programa de ayuda humanitaria de la FMH se extendió hasta 2028”.

Cesar Garrido, presidente de la FMH, también elogió a Roche por ampliar su compromiso con la comunidad mun-

dial de trastornos de la coagulación. “El año pasado fue un año récord para el Programa de ayuda humanitaria de la FMH, que continúa haciendo que el tratamiento que cambia la vida sea accesible para quienes más lo necesitan”, dijo.

El Programa de Ayuda Humanitaria de la FMH combate la falta de acceso a la atención y el tratamiento ofreciendo un apoyo muy necesario a personas con trastornos de la coagulación hereditarios en países en vías de desarrollo.

Al proporcionar un flujo más previsible y sustentable de donaciones de ayuda humanitaria, el Programa de Ayuda Humanitaria de la FMH hace posible que los pacientes tengan acceso consistente y confiable al tratamiento y la atención.

66 www.lasalud.mx

Minerva Cruz representó a la FHRM en el Congreso Mundial de Hemofilia

LaSalud.mx.- En entrevista exclusiva con LaSalud.mx, Minerva Cruz, presidenta de la Junta Directiva de la Federación de Hemofilia de la República Mexicana (FHRM), habló sobre su experiencia en el Congreso Mundial de Hemofilia que lleva a cabo la Federación Mundial de Hemofilia (FHM).

Este año, el evento tuvo sede en Montreal, Canadá, del 8 al 11 de mayo de 2022. Fue el primer evento híbrido de la comunidad internacional con trastornos de la coagulación. Pacientes, hematólogos, pediatras, cirujanos ortopédicos, fisiatras, fisioterapeutas, dentistas, enfermeras, trabajadores sociales, psicólogos, genetistas, técnicos de laboratorio, investigadores, científicos, legisladores, reguladores, defensores y miembros de la industria se dieron cita para asistir a este relevante congreso.

En el caso de Minerva, comenta que como directiva y representante de la FHRM tuvo

que asistir del 6 al 11 de mayo junto con todos los países que pertenecen a la federación. “Nosotros tenemos entrenamientos durante el evento de cómo dirigir nuestra organización, cómo mejorar la atención de los pacientes con hemofilia y otros trastornos de la coagulación para que tengan atención multidisciplinaria”, contó.

Además, agregó: “Tenemos la oportunidad de estar en las plenarias para escuchar los avances que hay para los pacientes con hemofilia y otros trastornos de la coagulación”.

De esta manera, relata que en esta ocasión se habló sobre los nuevos tratamientos que hay para la hemofilia A y B, terapias de innovación, así como para la enfermedad de von Willebrand. Todos estos temas son muy importantes.

Pese al gran valor del congreso, Minerva explicó: “Asistir es complicado.

Sin embargo, los médicos que tienen la oportunidad de ir son los que comparten esa información. Para mí es un gusto que la delegación de profesionales de la salud mexicanos es numerosa y cada vez se van sumando más expertos en las diferentes especialidades”.

“Se busca tener el mejor tratamiento para los pacientes, pero la situación económica de nuestro país no permite que esos avances los podamos tener tan pronto como quisiéramos. Vamos avanzando, pero aún falta mucho”, continuó.

Para finalizar, Minerva Cruz resaltó que el Congreso Mundial no es el único evento que hace la FMH: “Por ejemplo, para el área de rehabilitación y ortopedia hay eventos especiales, todo en beneficio del paciente. De ahí la importancia de contar con la asistencia de los médicos”.

67 www.lasalud.mx

Miguel Izquierdo resalta lo más relevante del WFH 2022 y la estrecha relación que tienen con México

Por: Redacción

LaSalud.mx.- En entrevista exclusiva, Miguel Izquierdo Zarco, Gerente Regional para Centroamérica y el Caribe para la Federación Mundial de Hemofilia (FMH), relató cómo se vivió el Congreso Mundial de Hemofilia (WFH por sus siglas en inglés) que se celebró en Montreal Canadá (8 al 11 de mayo de 2022), y de las acciones que tienen como federación mundial.

Destacó que el Congreso fue la primera reunión presencial sobre hemofilia en el mundo después de la pandemia. Participaron cerca de mil 400 personas de forma presencial, así como 2 mil de forma virtual para reconectar como comunidad y escuchar sobre los últimos avances en el tema.

El gerente apuntó que en el WFH hubo una destacada participación de médicos mexicanos; fue una de las delegaciones más grandes y eso los llena de mucho orgullo. También dijo que este congreso sirvió para refrendar muchos de los compromisos que tenemos con los profesionales de la salud y los pacientes.

“Los médicos se reunieron con nosotros para expresar sus necesidades y las maneras en las que ellos quieren brindar el tratamiento”, dijo.

“Todo esto forma parte de un proceso mucho más amplio que estamos llevando a cabo con la Federación de Hemofilia de la República Mexicana (FHRM), que es establecer y fortalecer los modelos de atención para los pacientes con desórdenes de coagulación en el país. El objetivo es que el paciente tenga acceso a un esquema de tratamiento preventivo y que tenga seguimiento por un equipo médico multidisciplinario”, continuó.

Además mencionó: “Durante el congreso escuchamos una frase que es muy cierta y simple: ‘Las licitaciones entre más aburridas sean es mejor’, esto quiere decir que cuando se sabe de antemano cuánto se tiene que comprar, qué y dónde se va a distribuir; es mejor el modelo que se propone y esto puede ayudar más a los pacientes”.

68 www.lasalud.mx

“Entonces; en México se prevé participar con el Instituto Mexicano del Seguro Social (IMSS), Instituto de Seguridad y Servicios Sociales de los Trabajadores del Estado (ISSSTE) y el Instituto de Salud para el Bienestar (INSABI) para ayudar a que se identifiquen las áreas de oportunidad, y participar en la educación y capacitación de médicos y pacientes; sin menospreciar el valor de la data porque es la que va a determinar dónde debe de estar el foco de atención”, añadió.

Sobre la problemática puntualizó: “En el congreso también se abordó el problema de la atención a la población adulta y qué pasa cuando estos migran a otro servicio. Para dar el seguimiento adecuado se plantea que se pueda compartir la información de los expedientes clínicos y la información del paciente para que este no pierda el seguimiento”.

En ese sentido, también se necesita personal capacitado e instituciones con protocolos actualizados, así la FMH tiene un programa con laboratorios de evaluación externa de calidad en laboratorios en México que busca expandirse para tener una detección oportuna de coagulopatías y así, dar un tratamiento adecuado.

Miguel Izquierdo también dijo que hace falta la atención para las mujeres que tienen algún desorden de coagulación, por ello, hace falta un ginecólogo para el modelo básico de atención

“Continuando con este esfuerzo la FMH tuvo una visita a México donde hablamos de tener una colaboración más estrecha

con la FHRM y mejorar la atención de los pacientes con hemofilia en específico, pero también de otras coagulopatías. El país tiene una situación muy interesante con la compra centralizada que realiza la Secretaría de Hacienda que logra un buen precio en el tratamiento y genera que otros centros tengan acceso a ellos, y haya más disponibilidad”, sostuvo.

Ante estos nuevos modelos que están próximos a plantearse, Miguel Izquierdo detalló que siempre es importante que se tome en cuenta la voz del paciente y de los líderes médicos antes de hacer una compra, así como el respeto a los lineamientos generales para mejorar la atención, que a la larga puede representar un ahorro.

La atención de los trastornos de coagulación en las instituciones de salud de México

Miguel Izquierdo explicó que la actualización sobre los protocolos de atención para pacientes con alguna coagulopatía por el Insabi, que se presentó el año pasado, abre la puerta a que se distribuya y se tenga acceso a estas terapias por parte de otros centros terapéuticos como son los hospitales para adultos que no pertenecen a la seguridad social; donde la atención se dirigía a los niños diagnosticados antes de los 10 años de edad, generando una importante desigualdad pues las consecuencias para los adultos es mayor: con menos oportunidades laborales, más daño articular, etc.

Además mencionó que el Imss es una institución que atiende a muchas personas: más de 3 mil personas con coagulopatías reciben atención ahí en los diferentes estados. Así contamos con un nivel central que regula, organiza y estandariza el acceso al tratamiento. Con la actualización de los protocolos del tratamiento del Imss se debe de garantizar el tratamiento multidisciplinario para todos y evitar el desabasto, así como ayudar a favorecer y fortalecer la educación a los pacientes.

“El enfoque para nosotros es maximizar las ganancias, es decir, que todos tenemos algo en común: maximizar la salud de las personas. Encontrando estos puntos en común podemos realizar estrategias para alcanzar nuestras metas”, finalizó Miguel Izquierdo.

69 www.lasalud.mx

Octapharma destaca los desafíos de vivir con la enfermedad de von Willebrand en el Congreso Mundial 2022 de la FMH

Por: Redacción

LaSalud.mx.- Como parte de su compromiso continuo con la comunidad mundial de trastornos hemorrágicos, Octapharma fue el patrocinador oro del Congreso Mundial 2022 de la Federación Mundial de Hemofilia (FMH), que se llevó a cabo del 8 al 11 de mayo de 2022.

El Congreso fue una reunión híbrida, con sesiones seleccionadas transmitidas a través de la plataforma virtual del Congreso y con sede en Montréal, Canadá.

Olaf Walter, miembro de la junta directiva de Octapharma, comentó: “la FMH es un foro valioso para la interacción, la colaboración y el intercambio de conocimientos con expertos

mundiales y diversos miembros de la comunidad internacional de trastornos de la coagulación. Nuestra contribución al Congreso refuerza nuestro compromiso de mejorar la atención de cada paciente que vive con un trastorno hemorrágico”.

Como parte de su serie ‘Under the Spotlight’, Octapharma destacó las principales necesidades insatisfechas de las personas que viven con la enfermedad de Von Willebrand (VWD) durante un simposio en vivo.

La VWD afecta a hombres y mujeres por igual, pero se diagnostica con más frecuencia en mujeres debido al sangrado asociado con la menstruación y el parto. Sin embargo,

70 www.lasalud.mx

las pautas para manejar estos problemas son inadecuadas. El simposio de Octapharma siguió la historia de Suzanne, una mujer joven con VWD, y sus experiencias con el sangrado menstrual abundante, las complicaciones del embarazo y la cirugía, y el impacto transformador que el tratamiento eficaz ha tenido en su vida.

Larisa Belyanskaya, Directora de Hematología de la IBU de Octapharma, dijo: “escuchar las experiencias de los pacientes y sus familias afectados por trastornos hemorrágicos nos recuerda la importancia de nuestro trabajo.”

Octapharma patrocinador oro del Congreso Mundial 2022 de la Federación Mundial de Hemofilia

El simposio, titulado “De los conocimientos clínicos a la experiencia del paciente: el viaje de Suzanne con la enfermedad de von Willebrand” se llevó a cabo el martes 10 de mayo. El presidente, el Dr. Fernando F. Corrales-Medina, estuvo acompañado por un cuerpo docente de expertos internacionales compuesto por los Dres. Michelle Sholzberg, Jill Johnsen y Alok Srivastava.

Además de la historia de Suzanne, el cuerpo docente presentó datos recientes y estudios en curso sobre el manejo del sangrado menstrual abundante, el sangrado perioperatorio y el parto en personas con VWD, incluida la función de los concentrados de VWF/FVIII como wilate.

71 www.lasalud.mx

Programa PACT de la FMH

LaSalud.mx.- El Programa PACT es una iniciativa de cinco años de duración diseñada con el propósito de mejorar la identificación y el diagnóstico de personas con trastornos de la coagulación hereditarios, así como incrementar su acceso a la atención sustentable. Estas metas se lograrán mediante capacitación, formación, alianzas, iniciativas por país, y actividades de cabildeo basadas en pruebas científicas.

FMH y Bangladesh

La Federación Mundial de Hemofilia (FMH) firmó un memorándum de entendimiento (MdE) entre la Dirección General de Servicios de Salud (DGSS) del Ministerio de Salud y Bienestar Familiar y la FMH, con el propósito de implementar el Programa de Acceso a Atención y Tratamiento (PACT, por su sigla en inglés). El objetivo es mejorar el diagnóstico, el tratamiento y la atención para personas con trastornos de la coagulación en Bangladesh. La Sociedad de Hemofilia de Bangladesh (SHB) es la encargada de la implementación del Programa, y colaborará con la DGSS y con la FMH en la ejecución del mismo. El MdE es el resultado de más de dos décadas de labores de concientización y cabildeo por parte de la SHB, bajo la dirección de su presidente, Mohammad Nurul Islam, y en colaboración con la DGSS.

En Bangladesh hay cerca de 2 mil 400 personas identificadas con trastornos de la coagulación, cifra que representa solamente alrededor del 14% de la tasa de prevalencia esperada, de más de 17 mil personas. Por ende, una parte clave del Programa PACT será identificar a más personas con trastornos de la coagulación y mejorar el acceso que tienen a la atención de su trastorno.

Dentro de la línea del tiempo 2021 fue el primer año del Programa PACT en Bangladesh, y ya se han concretado muchos logros. La SHB realizó exitosas actividades de concientización y cabildeo a lo largo del año, y fueron identificadas más de 250 personas con trastornos de la coagulación. La SHB también estableció dos nuevos capítulos y apoyó la apertura de dos cen-

tros de tratamiento de hemofilia en escuelas de medicina gubernamentales. Asimismo, la SHB lanzó un centro de atención para la comunidad de trastornos de la coagulación local, disponible las 24 horas del día, siete días a la semana.

“Se ha hecho historia para toda la comunidad de hemofilia y trastornos de la coagulación de Bangladesh”, afirmó Nurul Islam, presidente de la SHB. “La SHB agradece de todo corazón a la DGSS, particularmente al Dr. Mohammad Robed Amin, Director del Departamento de control de enfermedades no contagiosas, así como a la FMH por brindar su apoyo a la comunidad de trastornos de la coagulación de Bangladesh”.

Memorándum de entendimiento firmado con Palestina

El 5 de junio de 2022, la FMH y el Ministerio de Salud de Palestina (MdSP) firmaron un MdE por un periodo de cinco años, con el propósito de implementar en ese país el PACT. Este será administrado de manera conjunta por el MdSP y el comité de hemofilia de la Fundación Palestina Porvenir para la Niñez, con el apoyo total de la FMH. El objetivo es garantizar que más personas con trastornos de la coagulación hereditarios en Palestina puedan tener acceso a cuidados y tratamiento seguros, sin importar su tipo de trastorno o su género.

“Estoy sumamente orgulloso de este importante hito en términos de nuestra estrecha colaboración con el Ministerio de Salud y con su excelencia, la ministra Mai Al-Kailiah”, declaró Cesar Garrido, Presidente de la FMH. “Todos estamos dedicados a mejorar el acceso a la atención y el tratamiento para las personas con trastornos de la coagulación en Palestina. El futuro está lleno de esperanza”.

El MdE firmado con Palestina sienta los cimientos para la implementación del programa PACT durante los próximos cuatro años. Lo anterior abarca el objetivo de fortalecer el programa

72 www.lasalud.mx

nacional de hemofilia del MdSP y de forjar un consenso en torno a la introducción de guías de tratamiento uniformadas. Estos esfuerzos generarán un diagnóstico temprano y exacto, garantizarán el acceso equitativo a la atención y el tratamiento. En última instancia, mejorarán la calidad de vida de las personas con trastornos de la coagulación. El programa también abordará la necesidad de formación relevante y programas de apoyo tanto en Cisjordania como en la Franja de Gaza.

El apoyo de la FMH en el terreno se centrará en ayudar a las partes interesadas clave en los siguientes aspectos: el lanzamiento de campañas de identificación; la capacitación de especialistas de laboratorio en el diagnóstico de la hemofilia y la enfermedad de Von Willebrand. De igual forma, apoya al Comité Nacional Palestino de Hemofilia, y brinda asesoría especializada a proveedores de atención médica (PAM) sobre cómo garantizar la optimización de la organización y la administración de la atención.

La FMH también tratará de movilizar a voluntarios para la capacitación de equipos multidisciplinarios en centros de tratamiento de hemofilia palestinos con el propósito de mejorar la atención. Asimismo, se proporcionará apoyo para la recolección de datos, de modo que las decisiones sobre acceso al tratamiento se adapten a la realidad palestina. “Estamos muy contentos por la formalización de esta colaboración con nuestras contrapartes palestinas”, afirmó Rana Saifi, Gerente Regional de la FMH para Medio Oriente.

Programa PACT en Nicaragua

La pandemia de Covid-19 ha afectado negativamente a la comunidad de trastornos de la coagulación, causando interrupciones en la prestación de tratamiento y atención, así como un cambio en las prioridades de gobiernos nacionales. A pesar de estas problemáticas, la Federación Mundial de Hemofilia (FMH) ha apoyado los esfuerzos de su ONM en Nicaragua, la Asociación Nicaragüense de Hemofilia (ANH), mediante la implementación y el fortalecimiento de alianzas con partes interesadas clave, tanto nacionales como internacionales. Estos esfuerzos han permitido que la ANH continúe apoyando a sus miembros durante la pandemia.

La labor realizada en Nicaragua forma parte del PACT de la FMH. La Dra. Dunia Castillo es la encargada de proporcionar la mentoría. El programa ha generado muchos beneficios para Nicaragua; entre ellos se ha incrementado el intercambio de conocimientos sobre administración de la atención y registros (padrones o censos) de pacientes. También se ha establecido un plan para crear una red de centros que puedan ofrecer atención primaria a pacientes que viven lejos de Managua –la ciudad capital– en donde se encuentran los centros de trata-

miento de hemofilia (CTH). La Dra. Glenda Meléndez, Directora del Banco de Sangre Nicaragüense, apoya a la ONM de manera proactiva y las guías de tratamiento se adaptarán al sistema nacional de salud.

Estudio de caso PACT: Lanzamiento de Línea Nacional de ayuda para la hemofilia en Pakistán

La Fundación de Hemofilia de Pakistán (FHP) atiende a la comunidad nacional de trastornos de la coagulación a través de cuatro capítulos en Lahore, Rawalpindi, Karachi y Peshawar. Sin embargo, la tasa de identificación de personas con hemofilia permanece muy baja, a tan solo 12% de la esperada. Incrementar esta cifra constituye un desafío importante para la FHP, dado que muchas regiones del país son remotas y de difícil acceso. Para cerrar esta brecha, la FHP presentó una solicitud al PACT de la FMH. Uno de los primeros éxitos de su participación en el Programa es el lanzamiento de una Línea Nacional de ayuda para la hemofilia.

La línea de ayuda fue creada con el propósito de ofrecer un recurso confidencial a personas con trastornos de la coagulación (PCTC) y sus familias. Este servicio gratuito se proporciona de 9:00 a. m. a 5:00 p. m., seis días a la semana; y es administrado por dos miembros del personal capacitados y seleccionados de entre la comunidad. También se atienden llamadas de emergencia fuera de las horas habituales. Quienes llaman a la línea de ayuda reciben apoyo sobre los siguientes aspectos:

• Información básica sobre trastornos de la coagulación.

• Referencias para tratamiento, atención e instituciones de apoyo.

• Orientación y asesoría.

• Recomendaciones para tratamiento de emergencia.

• Apoyo en caso de quejas.

Umer Ashar y Midhat Khalid son los dos miembros del personal que actualmente se encargan de la línea de ayuda como consejeros de sus pares. El dúo –un hombre y una mujer jóvenes– fue seleccionado para trabajar juntos a fin de garantizar que tanto hombres como mujeres se sientan cómodos al llamar para compartir sus problemas. Antes del lanzamiento de la línea de ayuda, ambos recibieron una amplia capacitación sobre aspectos básicos de la hemofilia, confidencialidad de los pacientes, habilidades de comunicación, y sistemas de referencia. Mediante visitas rotadas a los cuatro capítulos de la FHP, se reunieron con médicos, coordinadores de grupos juveniles y femeniles, y miembros de consejos directivos. “Responder a una amplia gama de llamadas es siempre un desafío”, afirma Ashar. “Pero después de proporcionar asesoría a los pacientes, la sensación es tan gratificante que generalmente se me olvida lo difícil que puede resultar mi trabajo” apunta.

73 www.lasalud.mx

La Línea Nacional de Ayuda para la Hemofilia se lanzó en el Día mundial de la hemofilia este año. La FHP produjo un folleto que se distribuyó ampliamente con el objeto de dar a conocer el servicio telefónico gratuito. Una versión digital del folleto se publicó en redes sociales a fin de maximizar la exposición entre la comunidad de trastornos de la coagulación a escala local.

Desde el lanzamiento de la línea de ayuda hace cinco meses, el servicio ha atendido más de mil 150 llamadas sobre temas tales como inscripción de nuevos pacientes, disponibilidad de tratamiento, ubicación de centros de tratamiento de hemofilia (CTH), asesoría y quejas. También ha hecho referencias a capítulos de la FHP y a varios CTH. Una de las personas que llamó, de nombre Zahra, cuyo hijo tiene hemofilia, comentó lo siguiente acerca del servicio: “Mi hijo se lesionó mientras viajaba, gracias a la Línea Nacional de Ayuda para la Hemofilia recibimos orientación oportuna sobre el CTH más cercano para hacer frente a la emergencia”.

Abida Khan, Presidenta de la FHP, afirmó que la iniciativa de la Línea Nacional de Ayuda para la Hemofilia desempeña un papel esencial a fin de mejorar las vidas de la comunidad de trastornos de la coagulación local. Explica que el concepto fundamental del proyecto –en el que personas de la misma comunidad apoyan a sus pares directamente– siempre ha tenido un impacto positivo. “La iniciativa de la Línea Nacional de Ayuda para la Hemofilia ha mejorado las labores de identificación entre la comunidad”, explica. “Ha garantizado que las PCTC reciban información exacta y mejores servicios de referencia, los cuales contribuirán a un mejor tratamiento general, así como a mejores servicios de atención y apoyo. Esto incidirá de manera positiva en la calidad de vida de nuestras PCTC”.

La FMH continuará apoyando a Pakistán con el propósito de mejorar el acceso al tratamiento en todas las provincias del país. En 2019, la FMH secundó los esfuerzos de la FHP para elaborar su

Plan estratégico 2021-2025. Pakistán se inscribió al Programa PACT de la FMH en 2021, con base en un plan nacional de acceso redactado a partir de las prioridades estratégicas a cinco años de la FHP.

Academia de cabildeo del PACT

La FMH presentó la Academia de cabildeo del PACT. El curso se diseñó en asociación con la Escuela de Graduados en Servicio Público Wagner de la Universidad de Nueva York (NYU por su sigla en inglés).

La Academia de cabildeo del PACT, dictada exclusivamente en línea por reconocidos expertos del ámbito del cabildeo y los trastornos de la coagulación, consiste en un curso único de 8 meses diseñado para impartir a los defensores de las ONM de la FMH el conocimiento y las herramientas necesarios para promover un mayor acceso a la atención y el tratamiento en su país. Los graduados de este curso académico recibieron un certificado conjunto de capacitación ejecutiva de la FMH y la NYU.

El objetivo de la Academia de cabildeo del PACT es familiarizar a los alumnos con los conceptos y principios fundamentales de la atención de los trastornos de la coagulación y con los elementos clave de los modelos de adquisición de productos terapéuticos. Los alumnos también adquieren una comprensión básica de los conceptos de economía de la salud y de las evaluaciones de tecnología sanitaria y conocerán los elementos principales del diseño de una campaña de cabildeo. Al completar sus estudios, los graduados conocen la manera de identificar a las partes interesadas clave que intervienen en el acceso a las políticas de atención y tratamiento en su país, la forma de diseñar un proyecto de cabildeo y el modo enmarcar, diseñar marcas y comunicar los mensajes de la campaña.

Se prevé que el curso se imparta en otros idiomas, además de inglés, en 2023.

74 www.lasalud.mx

El Fondo de ayuda de la FMH para el Covid-19 proporcionó un apoyo muy necesario

LaSalud.mx.- Durante la pandemia, las Organizaciones Nacionales Miembros (ONM) de la Federación Mundial de Hemofilia tuvieron dificultades para continuar ofreciendo atención a las personas con hemofilia de sus comunidades. Esto se debía muchos factores; entre ellos, la falta de equipo de protección personal (EPP) para pacientes y personal médico, falta de información comunitaria sobre medidas de seguridad ante el Covid-19, y una brecha de acceso a la tecnología digital donde se realizaban capacitaciones en línea.

A finales del 2020, el consejo directivo de la FMH lanzó una petición de apoyo, y 27 ONM y otros aliados hicieron aportaciones al Fondo de Ayuda de la FMH para Covid-19. Hasta ahora, han ayudado a organizaciones de pacientes en 24 países de todos los rincones del mundo a enfrentar la pandemia. En total, 27 ONM presentaron solicitudes al Fondo de ayuda y todas fueron aceptadas o se encuentran en proceso de ser aceptadas.

Los siguientes son algunos ejemplos de la manera en la que el Fondo de ayuda de la FMH para Covid-19 ha contribuido a apoyar a ONM alrededor del mundo.

Uganda:

Puertas abiertas para todos

Durante el primer periodo de la pandemia, los profesionales de la salud pasaron meses sin tener acceso a EPP, lo que tuvo un impacto inmediato en la provisión de los servicios. Gracias al apoyo del Fondo de ayuda de la FMH, la Fundación de Hemofilia de Uganda pudo proporcionar EPP a sus miembros y garantizar su seguridad para continuar proporcionando atención.

“Una enfermera, que había pasado meses sin EPP, expresó miedo de atender a los pacientes. Una vez que pudimos distribuir el equipo a los trabajadores de la salud, su dedicación a la atención y el tratamiento de los pacientes mejoró considerablemente.”

—Miembro de la Fundación de Hemofilia de Uganda.

Mozambique: Solidaridad gracias a la radio

El equipo de la Asociación Mozambiqueña de Hemofilia identificó el aislamiento de los pacientes y la falta de información sobre medidas de seguridad, entre ellas la vacunación, como las áreas que tenían que atender. Utilizaron una doble estrategia para resolver el problema: primero prepararon canastas con desinfectante para manos, mascarillas y un folleto describiendo las medidas de seguridad que sus miembros deberían tomar. Después se aliaron con estaciones de radio a fin de diseminar información sobre cómo mantenerse seguros durante la pandemia.

“Pudimos ayudar para que todos los pacientes a escala nacional recibieran vacunas. Fue increíble ver la esperanza y la gratitud reflejadas en sus ojos.”

— Miembro de la Asociación Mozambiqueña de Hemofilia.

Argentina: Cuidar de nosotros mismos

Al equipo de la Fundación de la Hemofilia (Argentina) le preocupaba el aislamiento de los pacientes y la capacitación a profesionales de la salud. Crearon una serie de reuniones informales en línea para la comunidad. También organizaron la capacitación de 65 profesionales de la salud sobre seguridad ante Covid-19. Cabe destacar que ninguna persona de su organización se contagió del virus.

“Debemos continuar cuidando de nosotros mismos y apoyándonos mutuamente, durante y después de la pandemia.”

— Miembro de la Fundación de la Hemofilia, Argentina.

Ghana: Unidos y activos

Al equipo de la Sociedad de Hemofilia de Ghana le preocupaba que los pacientes rurales faltaran a las citas con sus equipos médicos debido a la pandemia. También querían ofrecer a sus miembros una opción para permanecer activos dado que las medidas de seguridad abarcaban el cierre de centros comunitarios. Usaron el financiamiento para comprar equipo de ejercitación que podían prestar a sus miembros, y ayudaron a 85 personas a trasladarse de manera segura a sus citas de atención médica.

“Conocer las necesidades de los miembros de nuestra comunidad a través de labores de difusión realmente nos ayudó a unirnos para ayudarlos. ¡Nuestro agradecimiento a la FMH por su apoyo!”

— Miembro de la Sociedad de Hemofilia de Ghana.

75 www.lasalud.mx

Grupo CLAHT se une a la FMH para impulsar la investigación en Hemofilia

Por: Redacción

Hematologia.mx.- La Federación Mundial de Hemofilia (FMH) y el Grupo Cooperativo Latinoamericano de Hemostasia y Trombosis (Grupo CLAHT) tienen como objetivo la promoción del intercambio de opiniones entre los profesionales de la salud vinculados a la hemostasia y la trombosis en América Latina. Por ello, acordaron la colaboración entre organizaciones a través de la Firma de Memorando de Entendimiento, que se llevó a cabo de forma virtual el 5 de agosto de 2022.

Cesar Garrido, presidente de la FMH, dijo en exclusiva para LaSalud.mx que esta alianza tendrá efectos educativos, porque el objetivo del Grupo CLAHT es brindar apoyo para la guía de tratamiento de la FMH a través de investigación, entrenamiento y presentación de trabajo. “Esto es de suma importancia para ambas instituciones”, apuntó.

“Sé que hay una experiencia científica importante que hay que difundir. Tenemos mucho apoyo tecnológico. La hemofilia está viviendo una época de luz y deben estar conscientes de lo que pueden hacer. Eso hace falta que el mundo lo sepa. Firmo este acuerdo con mucha alegría y compromiso”, agregó.

El Dr. Gleen Pierce, director médico de la FMH, detalló que este acuerdo busca proveer entrenamiento continuo a los profesionales médicos en cuanto a diagnóstico, tratamiento e investigación de las enfermedades hereditarias de la coagulación. A su vez, se favorecerá el intercambio de información entre profesio nales de la región, facilitando los estudios clínicos y publicaciones interinstitucionales e internacionales.

Por su parte, el Dr. Raúl Izaguirre, presidente del Grupo CLAHT, comentó durante el evento virtual de la firma que esta colaboración aporta mayor facilidad para los miembros del Grupo CLAHT a través del órgano oficial de publicaciones de la FMH. “Por ello, hay que aprovechar la oportunidad porque numerosos investigadores de Latinoamé-

rica tienen una producción excelente sobre el tema de la hemofilia. Además, se da la posibilidad de hacer trabajos colaborativos, llegar a más ciudades, incorporar más datos. Sin duda, es una labor difícil, pero el convenio puede crearlo y desarrollarlo adecuadamente. Así que nos congratulamos de la firma del acuerdo”, expresó.

Gloria Ramos, vicepresidenta del Grupo CLAHT, presentó el plan de trabajo y los temas de interés del grupo, los que contempla:

• Estudio de mujeres con trastornos de sangrado.

• Estudios farmacocinéticos para difundir esta práctica en la región.

• Sesiones educativas para compartir las experiencias entre los países de la región con el uso de terapias de no reemplazo.

• La organización de un evento virtual para difundir y evaluar la utilización de las ecografías como herramientas clave para la evaluación y el acompañamiento de la salud articular en la región. Los resultados de este sondeo serán publicados en el Congreso Regional 2023.

• Otros temas de interés son: Trombosis en hemofilia y Diagnóstico de hemofilia, enfermedad de von Willebrand (EvW) y otros trastornos hemorrágicos.

Cedric Hermans, editor en jefe del Hemophilia

Journal de la FMH, envió un mensaje desde Bruselas, Bélgica, para celebrar la firma de este acuerdo, que supone un importante avance en beneficio de los pacientes con hemofilia. Adelantó que a través de este órgano de la federación se publicarán las investigaciones impulsadas por el Grupo CLAHT.

Tras firmar el documento a la distancia, debido a la naturaleza virtual del evento, los participantes informaron que el convenio entregará becas para la participación en actividades académicas programadas. Por lo que se utilizarán, posteriormente, las plataformas y canales de información de ambas organizaciones para dar más información al respecto.

76 www.lasalud.mx

Fármacos logran reducir el sangrado en pacientes con Hemofilia

Por: Redacción

LaSalud.mx.- Un fármaco presentado en el Congreso anual de la Sociedad Internacional de Trombosis y Hemostasia (ISTH, por sus siglas en inglés) que se llevó a cabo en Londres, Reino Unido, logró reducir en un 77% el sangrado en pacientes con hemofilia A, en comparación con la profilaxis previa que recibían los participantes de la investigación.

Esta información corresponde a un ensayo de fase II del BIVV001. Este fármaco es administrado una vez a la semana y tiene una vida media 3-4 veces superior a los concentrados de factor de vida media estándar y extendida . Con esto, los participantes alcanzaron un nivel de factor cerca de la normalidad superior al 40% durante la mayor parte de la semana, con una media del 15% a los siete días, detalló Francisco José López Jaime del Hospital Regional Universitario de Málaga.

Con la reducción de los sangrados, los pacientes mejoran su calidad de vida al eliminar el dolor, aumentar la salud física y la salud articular significativamente. Durante el estudio, no se reportaron relaciones alérgicas graves, anafilaxia o eventos trombóticos

Este análisis se realizó en “KeyPints in hemostasi”, donde expertos de la Sociedad Española de Trombosis y Hemostasia (SETH), en colaboración con Novo Nordisk, abordaron los contenidos más relevantes de este ámbito de la medicina desde la sede del ISTH 2022 en Londres.

Concizumab redujo en un 86% las hemorragias en personas con Hemofilia A o B sin inhibidores

De acuerdo con el estudio Explorer7 de fase 3 de Novo Nordisk, concizumab redujo en un 86% las hemorragias en pacientes con hemofilia A o B que han desarrollado inhibidores. Esta información también fue presentada en el Congreso Anual

de la Sociedad Internacional de Trombosis y Hemostasia (ISTH, por sus siglas en inglés) celebrado en Londres.

Tras evaluar la eficacia del fármaco se concluyó que concizumab reduce las hemorragias espontáneas, o las que se dan después de un traumatismo, con una tasa media anual estimada de sangrados de 1.7 frente a 11.8 en personas con hemofilia A o B sin profilaxis, cumpliendo el objetivo principal del estudio

El promedio de la tasa anual de sangrados con concizumab fue de 0 en comparación con la de 9.8 para los que no recibieron tratamiento profiláctico. Además, no se produjeron eventos tromboembólicos después de la pausa del estudio.

Concizumab es un anticuerpo en fase de investigación dirigido contra el inhibidor de la vía del factor tisular (anti-TFPI, por sus siglas en inglés) de administración subcutánea y diaria para el tratamiento profiláctico de todos los tipos de hemofilia

77 www.lasalud.mx
Novo Nordisk espera presentar concizumab en el 2023 en la Unión Europea y en Reino Unido.

El área de Hematología Pediátrica del CMN 20 de Noviembre es referencia a nivel nacional en investigación clínica

Por: Redacción

En entrevista exclusiva con LaSalud.mx, la Dra. Laura Elizabeth Merino Pasaye, Encargada del Servicio de Hematología Pediátrica en el Centro Médico Nacional (CMN) 20 de Noviembre, habló sobre el crecimiento constante del departamento y los planes a futuro.

Esta área es “el único centro de referencia de tercer nivel en Hematología Pediátrica en la actualidad”. Para mejorar la atención que brindan a los pacientes, trabajan junto a la dirección general del Instituto de Seguridad y Servicios Sociales

de los Trabajadores del Estado (ISSSTE) para dar apertura a este servicio.

La importancia de estas acciones radica en que “nosotros recibimos pacientes hematológicos y oncológicos de todos los estados de la República Mexicana. Nuestro servicio tiene todas las condiciones necesarias para brindar tratamiento urgente, como en el caso de las leucemias y de los linfomas. También tratamos padecimientos como anemias derivadas de alguna deficiencia de vitaminas, anemias hemolíticas, fallas

medulares y padecimientos de coagulación”, indicó la Dra. Merino.

Esta área del CMN recibe a la mayor población pediátrica del Issste con padecimientos hematooncológicos Sin embargo, se encuentran trabajando con la Dirección Normativa para realizar estudios a los pacientes en sus unidades médicas y, en caso de que la posibilidad sea inexistente, puedan ser referidos inmediatamente al servicio que encabeza la Dra. Merino para brindarles la atención adecuada.

78 www.lasalud.mx

Importante participación en el área de investigación clínica

La Dra. Laura Elizabeth Merino Pasaye también habló sobre la investigación que realiza el departamento que dirige en el tema de Leucemias. Se refirió especialmente a blinatumomab, un anticuerpo monoclonal para tratar Leucemias Linfoblásticas.

Para llevar a cabo esta serie de investigaciones, el CMN 20 de Noviembre está trabajando en alianza con el CMN Siglo XXI. Juntos “realizan varios estudios multicéntricos, de los cuales ya se han hecho publicaciones a nivel nacional e internacional, sobre todo en el área de Leucemias Agudas. Hace poco se realizó la Convención de los Investigadores Nacionales en la que participamos” como colaboradores.

Además, agregó que “estamos planeando realizar algunas publicaciones sobre el resultado que hemos tenido en el tratamiento de Leucemias Linfoblásticas Agudas con el uso de una de las terapias más nuevas que existen: el blinatumomab”. Se trata de un anticuerpo monoclonal específico que ha funcionado en los pacientes que ya no tienen otra opción de tratamiento. Por ejemplo, el caso de las Leucemias Linfoblásticas Agudas de Estirpe B. Los pacientes con este padecimiento pueden ser candidatos a trasplante de Células Progenitoras Hematopoyéticas luego del uso de este medicamento.

De acuerdo con la Dra. Merino, blinatumomab es uno de los últimos tratamientos innovadores presentados a nivel mundial y funciona como una medida de salvamento para aquellos pacientes que aún tienen la enfermedad activa. Afortunadamente, el CMN 20 de Noviembre cuenta con el apoyo de las autoridades para aplicarlo.

De esta manera ha sido posible “realizar un trasplante a aquellos pacientes que ya no tenían esa opción debido a que la enfermedad era refractaria”. Para finalizar la exclusiva entrevista, la Dra. Merino resaltó que el Trasplante de Células Pro-

genitoras Hematopoyéticas para algunos pacientes, puede ser la única opción para salvaguardar la vida de los pacientes, sobre todo pediátricos.

Lanzarán área de Trasplante de Células

En relación con este tema, recientemente inauguraron la sección de Trasplante de Células Progenitoras Hematopoyéticas. Con estas iniciativas se ejemplifica que “nuestros servicios están teniendo varios realces en la parte académica, porque no sólo somos formadores de residentes en el área de hematología pediátrica, sino que ahora nuestros residentes contarán con la posibilidad de realizar la alta especialidad en trasplante de células progenitoras hematopoyéticas”, detalló.

Agregó que actualmente cuentan con pacientes dentro del área que están siendo trasplantados por la Dra. Raquel Miranda Madrazo, la Encargada de Trasplantes. De igual modo, trabajan en conjunto con la Dra. Farina Arreguín, Jefa de Oncología Pediátrica, para otorgar la mejor atención a los pacientes. Incluso están planeando realizar sesiones en colaboración con el área de residentes y el área de médicos con la finalidad de “poder sesionar aquellos casos en que compartimos patologías entre ambos servicios”.

Rememoró que “en tiempos previos no existía esta coordinación tan estrecha en tre oncología y hematología. Por fortuna, hemos logrado trabajar con la Dra. Farina Arreguín de una manera adecuada. Esto es algo nuevo que nos ha permitido tener la expertis de un campo y de otro para enriquecer conocimientos y poder manejar mejor a los pacientes”.

De modo que ambas áreas han logrado una buena relación, pues hoy en día “incluso la Dra. Farina y su servidora estamos realizando un Diplomado en Farmacoeconomía con la finalidad de solicitar medicamentos con sustento mé dico al área de farmacia y de compras”,

señaló.La Dra. Merino adelantó que la Unidad de Trasplante de Células Hematopoyéticas tendrá una parte quirúrgica, donde los pacientes post-trasplantados hepático-renal puedan incluirse en esta misma unidad. No obstante, habrá otra sección de trasplantes en general, la que comprenderá el resto de los pacientes e incluirá el trasplante de sólidos.

Se aproxima inauguración de Clínica Pediátrica de Hemofilia

Próximamente, el CMN 20 de Noviembre también abrirá la Clínica de Hemofilia para los pacientes pediátricos. Esta iniciativa obedece a la necesidad de ofrecer un servicio que en la actualidad sólo existe para las personas adultas. Para lograrlo cuentan con el apoyo de la Dra. Teresa Valle, quien tiene una especialidad en coagulación.

“Estamos intentando organizar y crear la Clínica de Hemofilia para el paciente pediátrico. Ahí podremos integrar el servicio de hematología y una atención integral para el paciente a través de psicología, trabajo social, rehabilitación y campo dental. En el caso de este último contamos con el apoyo de la Clínica de Tlatelolco para el seguimiento de estos pacientes. También coadyuvamos con el área de ortopedia pediátrica, la cual se integrará a nuestro sector”, finalizó la Dra. Merino.

79 www.lasalud.mx

Por: Redacción

Hemofilia en niños

LaSalud.mx.- Los niños con hemofilia no tienen suficiente factor de coagulación en la sangre. Hay muchos de estos factores participan en la formación de coágulos para detener el sangrado. Dos de los más comunes son el factor VIII y el factor IX.

Los tipos de hemofilia A y B son enfermedades hereditarias. Se transmiten de padres a hijos a través de un gen en el cromosoma X.

• Cuando una mujer portadora de la hemofilia está embarazada, hay una posibilidad de 50/50 de que el gen de la hemofilia se transmita al bebé.

• Si el gen se transmite a un hijo, tendrá la enfermedad.

• Si el gen se transmite a una hija, ella será portadora.

• Si el padre tiene hemofilia, pero la madre no es portado-

ra del gen de la hemofilia, entonces ninguno de los hijos tendrá la enfermedad de la hemofilia, pero todas las hijas serán portadoras.

Los portadores del gen de la hemofilia, a menudo tienen niveles normales de factores de coagulación, pero pueden:

• Formar moretones fácilmente.

• Sangrar más luego de cirugías y tratamientos dentales

• Tener sangrados nasales frecuentes

• Tener sangrado menstrual abundante

La gravedad de la hemofilia depende de la cantidad de factores de coagulación en la sangre. Los afectados con hemofilia que tienen niveles superiores al 5% (100% siendo el promedio para

80 www.lasalud.mx

los niños no afectados), más a menudo, tienen sangrado solo con cirugías mayores o extracciones dentales. Estos niños ni siquiera pueden tener un diagnóstico hasta que se produzcan complicaciones hemorrágicas tras una cirugía.

La hemofilia grave tiene lugar cuando el factor VIII o IX es menor que 1%. El sangrado puede ocurrir en estos niños, incluso con las actividades mínimas de la vida cotidiana. El sangrado también puede ocurrir por lesiones que se desconocen. El sangrado ocurre con mayor frecuencia en las articulaciones y en la cabeza. Los síntomas pueden incluir:

• Moretones. Por esta razón, la mayoría de los niños reciben un diagnóstico alrededor de los 12 a 18 meses de edad, cuando el niño es más activo.

• Sangra fácilmente. Tendencia a sangrar por la nariz, la boca y las encías con lesiones leves. Sangrado al cepillarse los dientes o tener que realizarse trabajos dentales a menudo sugiere hemofilia.

• Hemorragia en una articulación. La hemartrosis (hemorragia en una articulación) puede causar dolor, inmovilidad y deformidad, si no se trata. Estas hemorragias articulares pueden llevar a artritis crónica y dolorosa, deformidad y parálisis si se repiten.

• Hemorragia en los músculos. El sangrado en los músculos puede causar hinchazón, dolor y enrojecimiento. La hinchazón excesiva por la acumulación de sangre en estas áreas puede aumentar la presión sobre los tejidos y nervios en el área. Esto puede causar daño permanente y deformidad.

• Sangrado en el cerebro ocasionado por una lesión o de forma espontánea. La hemorragia por lesión, así como la hemorragia espontánea en el cerebro; son las causas más comunes de muerte en niños con he-

mofilia y la complicación hemorrágica más grave. El sangrado en o alrededor del cerebro puede ocurrir incluso por un pequeño golpe en la cabeza o una caída. Pequeñas hemorragias en el cerebro pueden causar ceguera, discapacidad intelectual y una variedad de déficits neurológicos. Puede conducir a la muerte si no se detecta y trata inmediatamente.

• Otras fuentes de hemorragia. Sangre en la orina o en las heces también pueden ser señal de hemofilia.

El diagnóstico de hemofilia que se basa en los antecedentes familiares, la historia clínica y un examen físico del niño. Los análisis de sangre incluyen:

• Hemograma (CSC). Un hemograma comprueba los glóbulos rojos y blancos de la sangre, las células de coagulación de la sangre (plaquetas) y, a veces, glóbulos rojos jóvenes (reticulocitos). Incluye la hemoglobina y el hematocrito, y más detalles acerca de los glóbulos rojos.

• Factores de coagulación. Para comprobar los niveles de cada factor de coagulación.

• Tiempos de sangrado. Para probar la velocidad en la cual se forman coágulos sanguíneos.

• Pruebas genéticas o de ADN. Para comprobar si hay genes anormales.

El proveedor de atención médica analizará cuál es el mejor tratamiento según:

• La edad del niño.

• Su estado general de salud y su historia clínica.

• Qué tan enfermo esté.

• Qué tan buena sea la tolerancia del niño hacia medicamentos, procedimientos o tratamientos específicos.

• Cuánto se espera que dure su afección.

• Su opinión o preferencias.

El tratamiento depende del tipo y la gravedad de la hemofilia. El tratamiento para la hemofilia está dirigido a la prevención de las complicaciones hemorrágicas (principalmente hemorragias en la cabeza y en las articulaciones). El tratamiento puede incluir lo siguiente:

• El sangrado en la articulación puede necesitar cirugía o inmovilización. El niño puede necesitar rehabilitación de la articulación afectada. Esto puede incluir fisioterapia y ejercicio para fortalecer los músculos que rodean la zona.

• Se pueden necesitar transfusiones de sangre si se ha producido una pérdida importante de sangre. Esto sucede cuando su hijo recibe sangre donada.

• El factor autoinfundido VIII o IX pueden permitir que un niño con hemofilia lleve una vida casi normal.

Con un manejo terapéutico cuidadoso, muchos niños con hemofilia pueden llevar una vida relativamente sana con una esperanza de vida normal.

81 www.lasalud.mx

Hemofilia adquirida: curable sólo si se identifica y trata a tiempo

Por: Redacción

LaSalud.mx.- La hemofilia adquirida es una en fermedad rara que damnifica sólo a 2 de cada millón de personas a nivel mundial y causa hemorragias tan abundantes que pueden tener consecuencias letales en los pacientes. Afecta principalmente a los adultos mayores de 70 años y a mujeres durante el embarazo o en el periodo del post parto.

Diferencia entre hemofilia congénita y adquirida

La Dra. Angélica Licona, Gerente Médico de Enfermedades Raras para Novo Nordisk México, explicó que la hemofilia congénita es un trastorno de la coagulación de carácter genético hereditario, cuyo resultado es la poca o nula capacidad del cuerpo para producir factor VIII (hemofilia A) o factor IX (hemofilia B), que son proteínas de la sangre que controlan las hemorragias. “La falta de estos factores ocasiona que la cadena de coagulación del cuerpo quede incompleta, lo que propicia episodios de sangrado, principalmente en articulaciones”.

Para saber identificar a la hemofilia adquirida es necesario conocer sus diferencias de la congénita. “A diferencia de la hemofilia congénita o hereditaria, la hemofilia adquirida es una enfermedad de carácter autoinmune, donde una persona con un sistema de coagulación previamente sano desarrolla anticuerpos o inhibidores contra uno o varios factores de la coagulación. El factor de la coagulación más frecuentemente dañado en la hemofilia adquirida es el Factor VIII y esta disminución en la concentración del factor da como resultado una tendencia hemorrágica importante”, explicó la Dra. Licona.

El patrón de hemorragia observado en la hemofilia adquirida es muy diferente al observado en la forma congénita. Las hemorragias articulares (hemartrosis) que se dan en la hemofilia congénita grave, no son comunes en la hemofilia adquirida, en la que las principales manifestaciones son hemorragias cutáneas (moretones extensos o equimosis), y hematomas en tejidos blandos (músculos y órganos), las cuales suelen ser muy intensas.

Otras manifestaciones de la hemofilia adquirida pueden ser hemorragia gastrointestinal y hemorragia posparto prolongada. “Los pacientes pueden fallecer debido a complicaciones hemorrágicas”, advirtió la Dra. Licona.

“La causa del desarrollo de inhibidores se desconoce, pero con frecuencia existen otros padecimientos médicos relacionados, como trastornos autoinmunes, entre ellos artritis reumatoide, colitis ulcerativa o psoriasis; enfermedades malignas como tumores sólidos, leucemias, linfomas o mieloma múltiple; el uso de ciertos medicamentos y el embarazo. Las personas con hemofilia adquirida suelen ir al hospital por primera vez debido a una hemorragia espontánea y habitualmente grave, difícil de controlar”, señaló la Dra. Licona.

Curable, si se detecta a tiempo

La hemofilia adquirida es un problema de salud realmente serio, ya que el 94.6% de los pacientes presenta hemorragia súbita y el 70.3% presenta hemorragia grave. La Dra. Licona advirtió que en México y el mundo hay cada vez más casos de hemofilia adquirida, con un índice de mortalidad de hasta 28% debido a un diagnóstico tardío. “Este alto índice de mortalidad se asocia a la falta de información de los médicos para identificar la enfermedad. Lo importante es que tanto médicos como público en general aprendan a identificarla y sepan que hay manera de tratarla.”

El tratamiento de la hemofilia adquirida incluye: erradicar la presencia del anticuerpo o inhibidor y detener la hemorragia, en donde es recomendable el uso de agentes de puenteo o agentes “by pass”, dentro de los que destaca el factor VII recombinante activado (NovoSeven) para controlar los episodios hemorrágicos

A este respecto, la Gerente Médico de Enfermedades Raras de Nordisk subrayó que “la mortalidad baja radicalmente con el tratamiento. En México hay mayor accesibilidad al factor VII en las instituciones de salud y lo importante es diagnosticar oportunamente.”

“A diferencia de la hemofilia congénita, que es crónica, la hemofilia adquirida sí tiene cura. El paciente tendrá la posibilidad de retomar su vida normal, siempre y cuando reciba el tratamiento adecuado. Por ello, invitamos al público a consultar al especialista en hematología ante la aparición de sangrado abundante, súbito y sin causa aparente; podría tratarse de una hemofilia adquirida”, subrayó la Dra. Licona.

82 www.lasalud.mx

ISSSTE brinda tratamientos de ingeniería genética a pacientes con Hemofilia

Por: Redacción

LaSalud.mx.- El Instituto de Seguridad y Servicios Sociales de los Trabajadores del Estado (ISSSTE) brinda modernos tratamientos de ingeniería genética específica, conocidos como factores recombinantes, y fármacos obtenidos del plasma humano a pacientes con hemofilia. Hemos logrado un buen control del padecimiento y calidad de vida para derechohabientes afectados, con lo cual garantizamos el acceso a la salud, informó el Director General, Pedro Zenteno Santaella

El especialista adscrito al Servicio de Hematología del Centro Médico Nacional (CMN) “20 de Noviembre”, Juan Manuel Pérez Zúñiga, precisó que el objetivo de estos tratamientos es impedir que los pacientes tengan episodios de sangrado y sus complicaciones; logrando sustituir el factor de coagulación deficiente en su organismo.

Actualmente, el instituto atiende aproximadamente 300 derechohabientes con tratamiento activo de esta patología, tanto en el CMN “20 de Noviembre” como en la red de hospitales regionales del país.

Agregó que el Issste cuenta con un censo donde se registra a derechohabientes diagnosticados, en el cual se específica el tipo de factor de coagulación que requiere cada uno con el propósito de asignar recursos para su tratamiento.

En México se desconoce el número exacto de casos. Revisiones bibliográficas de diferentes instituciones, incluidos reportes de la Secretaría de Salud, estiman que aproximadamente entre cinco mil y seis mil personas viven con el padecimiento. A nivel global, la Federación Mundial

de Hemofilia (FMH) calcula que afecta alrededor de 400 mil individuos. Pese a ser una enfermedad de baja fre-

senta cada persona, detalló el hematólogo del CMN “20 de Noviembre”.

Hay dos causas generales de la hemofilia: hereditaria, que es la más común, y adquirida, cuya frecuencia es menor.

cuencia, refirió el hematólogo, tiene alto impacto social y de carga económica. Lo anterior se debe a que la mayoría de los pacientes nacen con este padecimiento y una vez diagnosticados requieren tratamiento durante toda la vida

El experto detalló que esta enfermedad es primordialmente hereditaria. Se caracteriza por un defecto en la coagulación de la sangre y sus principales síntomas son persistencia de moretones y sangrado, tanto externo como interno; este último, principalmente en las articulaciones.

En la hemofilia tipo A, existe deficiencia del factor de coagulación 8; y en la de tipo B, del factor 9. Su control se logra proporcionando un sustituto del factor deficiente y el Issste cuenta con diversos esquemas terapéuticos avanzados y eficaces.

Explicó que las dosis de medicamento van cambiando a lo largo de la vida porque se prescribe con base en el peso del paciente y en los objetivos de la concentración de factor de coagulación que se requiere elevar; esto se encuentra en relación con el sitio de sangrado que pre-

En el caso de la hemofilia congénita se transmite de la madre a los hijos varones a través de los genes. Cuando en el Issste se detecta el nacimiento de un infante con hemofilia, puntualizó, se envía a la madre y al padre a recibir consejo genético, porque es necesario que sepan que pueden tener un mayor número de hijos hombres con alto riesgo de presentar hemofilia, explicó.

En menor proporción, esta patología puede ser adquirida como consecuencia de algunas enfermedades. Por ejemplo, el lupus y algunos tumores generan una sustancia que inhibe la actividad de los factores de coagulación. “Afortunadamente son los menos y el instituto cuenta con recursos y especialistas para identificar y tratar a los pacientes que la presentan”, afirmó.

Finalmente, Pérez Zúñiga recalcó que las personas con hemofilia son asintomáticas al nacer. Cuando empiezan a gatear o caminar presentan daño en la articulación por trauma y la sangre sale de los vasos sanguíneos, entonces aparecen moretones sin causa aparente y la articulación se inflama y causa hemartrosis. La recurrencia de este cuadro limita movilidad articular, los músculos adelgazan y hay dolor, por lo que es muy importante su diagnóstico y tratamiento específico para evitar mayores daños.

83 www.lasalud.mx

Banco de DNA para estudios genéticos de Hemofilia y Enfermedad von Willebrand en México

medad von Willebrand (EvW) es la deficiencia en la cantidad o función del factor von Willebrand (FvW), proteína participante en la agregación de las plaquetas y coadyuvante en la coagulación. Ambos son padecimientos genéticos, es decir, causados por defectos en el DNA que se heredan de generación en generación de forma característica.

El presente artículo tiene la finalidad de hablar sobre los aspectos genéticos de la hemofilia y enfermedad von Willebrand en la población mexicana que hemos estudiado en el Centro de Investigación Biomédica de Occidente (CIBO) del Instituto Mexicano del Seguro Social (IMSS) a lo largo de 27 años: Para lo cual hemos partido de un Banco de DNA o genoteca de pacientes y familiares de ambas entidades, que constituye el recurso de material biológico para la realización de los distintos estudios de investigación. Los datos se han integrado en una base en la que organizamos la información de los pacientes y llevamos el control de los procesos de la captación de sus muestras, su procesamiento y preservación de DNA. Así como el registro de los resultados de los ensayos de diagnóstico molecular realizados.

Aspectos genéticos y manifestaciones de la Hemofilia y Enfermedad von Willebrand y su estudio en CIBO, Imss

Genética de la Hemofilia

La hemofilia es el trastorno hemorrágico hereditario debido a la deficiencia de los factores de la coagulación VIII (Hemofilia

A, HA) y IX (Hemofilia B, HB). La Enfer-

En ambos tipos de hemofilia, el patrón de herencia se denomina recesivo ligado al cromosoma X. De acuerdo a su sexo genético, los varones presentan un cromosoma X y uno Y. En el X se encuentran los genes que codifican para los factores VIII y IX coagulantes. Por lo pronto, cuando un varón presenta la mutación o cambio genético patológico (variante patogénica), manifiesta el padecimiento con sangrados musculares o articulares principalmente, que varían de gravedad de acuerdo a la variante genética presente que determina las formas graves, moderadas o leves del padecimiento, en orden decreciente por su sintomatología y en relación inversa con la actividad residual del factor coagulante (<1%; 1-5%; >5-40% respectivamente).

Las mujeres también pueden presentar la variante patogénica en uno de sus cromosomas X. Ya sea heredado de su madre, portadora obligada o de su padre con hemofilia, con lo que se denomina “portadora”; ya que si bien tiene el rasgo de hemofilia que puede heredar, el contar con la función normal proveniente del cromosoma X sano, es suficiente para no manifestar los sangrados. La expresión de ambos cromosomas X, uno activo en cada célula de forma aleatoria, determina en promedio, al menos un 50% de actividad coagulante, que es suficiente para ser hemostática, es decir, una función coagulante normal sin ocasionar sangrados. Sin embargo, dicha activación aleatoria determinada al inicio de la vida en un número reducido de células

que dan origen a todas las células del organismo ocasiona en las mujeres un “mosaico” de expresión de los genes del cromosoma X. Entre ellos, los factores VIII ó IX, por lo que el resultado final puede ser desfavorable y predominar el rasgo de hemofilia con actividad coagulante reducida (generalmente cuando se presenta <40%); y, con ello, ocasionar manifestaciones en las “portadoras sintomáticas”, generalmente sangrados mucocutáneos como: nasal (epistaxis) en encías (gingivorragia), formación fácil de moretes (equimosis) o sangrado menstrual abundante (menorragia).

Recién, ha sido establecida una nueva nomenclatura para las portadoras de hemofilia considerando una clasificación más amplia de acuerdo al nivel del factor coagulante y sus manifestaciones hemorrágicas. Se considera que una mujer no es portadora, sino una mujer con hemofilia cuando presenta menos del 40% de actividad coagulante del factor VIII o IX y que es condicionante de tendencia hemorrágica. Esto con el fin de que se mejore su atención por el hematólogo y sea considerado el tratamiento en caso requerido.

Más allá de la nomenclatura, estos datos muestran un cambio relevante de paradigma en la visión de la mujer con hemofilia, identificando ahora a la portadora asintomática, sintomática (niveles de FVIII/FIX coagulantes >40% sin o con síntomas respectivamente) y mujer con hemofilia (<40% de FVIII/FIX coagulantes, con la misma clasificación de severidad que el varón); lo cual puede presentarse en alrededor del 30% de las mujeres portadoras. Esto lo hemos considerado en el estudio de portadoras sintomáticas analizando el mecanismo genético más común que puede determinar las manifestaciones hemorrágicas en las portadoras, debido a los mecanismos que regulan la expresión del cromosoma X.

84 www.lasalud.mx

Genética de la EvW

La EvW se transmite con un patrón de herencia autosómico dominante o recesivo y sus manifestaciones corresponden a sangrados mucocutáneos. El rasgo autosómico se refiere a la localización del gen que produce al factor von Willebrand (gen VWF) en el cromosoma 12. Esto es un “autosoma” o cromosoma no sexual que corresponde a los cromosomas humanos del 1 al 22, exceptuando los sexuales (X y Y). De acuerdo a esto, encontramos afectados con EvW tanto varones como mujeres. El rasgo dominante (presente en todas las generaciones) o recesivo (con saltos generacionales, manifestándose cuando están presentes los rasgos afectados provenientes de ambos padres) se determina de acuerdo a la variante patogénica causante.

La EvW se clasifica de acuerdo a su deficiencia: la pérdida en su cantidad o deficiencia cuantitativa (tipo 1, parcial y tipo 3, total). La primera con herencia dominante y la segunda recesiva (debida generalmente a dos variantes simultáneas). Cuando existe una alteración en su función o deficiencia cualitativa, se afecta la unión del FvW a sus distintos ligandos funcionales (proteínas con las que interactúa para realizar sus funciones) y determinan variantes tipo 2 (2A, 2B, 2M y 2N). Todas con herencia dominante, excepto la última.

La variedad genética descrita se observa reflejada en la amplia variabilidad de las alteraciones del FvW a nivel proteico y los grados de severidad de la sintomatología. De manera que encontramos familias con afectados de sintomatología muy variable y en algunos casos portadores con muy pocos síntomas o sin ellos. A nivel genético, hemos encontrado que tal variabilidad puede ser producto de la presencia de más de una variante patogénica del gen VWF en distintos individuos de una misma familia.

Banco de DNA para la realización de estudios genéticos en Hemofilia y Enfermedad von Willebrand

Con el panorama expuesto, se explica la complejidad genética de ambas entidades y las manifestaciones en afectados y portadores. Se requiere del análisis en los pacientes y sus familiares. Con ello se comprende el valor de contar con el recurso de un banco genético de DNA para los distintos estudios para su diagnóstico y análisis de síntomas, de acuerdo a la relación que guardan su genotipo (rasgos genéticos) y las manifestaciones que ocasionan (el denominado fenotipo); que incluye en conjunto las características patológicas a nivel proteico, bioquímico y en el comportamiento clínico.

En el CIBO del Imss hemos desarrollado líneas de investigación sobre estudios genéticos en pacientes con Hemofilia A, Hemofilia B, en sus familiares desde 1995 y en pacientes con sospecha de enfermedad von Willebrand desde el 2012, integrando un banco de DNA o genoteca; que se ha obtenido a partir de sus muestras sanguíneas con un proceso que permite su preservación a largo plazo.

¿En qué consiste un banco de DNA, control biológico y de información?

Una vez que se obtiene el DNA de cada individuo, se procede a evaluar su cantidad y calidad (pureza y ausencia de sales y proteínas) por medio de un espectrofotómetro. Los métodos que realizamos son “caseros” (sin el empleo de un kit comercial) con la preparación en el laboratorio de los reactivos de los procesos de extracción, purificación y preservación a largo plazo (que evita su degradación bacteriana). Con este proceso hemos logrado la conservación del DNA por más de 20 años en microtubos con cierre hermético, que contienen algunos miligramos de los ácidos nucleicos en congelación a -20°C.

Banco de DNA o genoteca de Trastornos de la Coagulación, CIBO, IMSS

A. Laboratorio de Genética 5, CIBO, IMSS.

B. Congelador a -20oC para resguardo de la genoteca.

C. Muestras sanguíneas en proceso y reactivos.

D. Criocajas con las alícuotas de DNA de los individuos de estudio.

Si bien aún en estas condiciones observamos cierta evaporación de las muestras, que pueden reconstituirse con agua de alta pureza (grado cromatográfico) y se han empleado en ensayos de diagnóstico molecular con buenos resultados en todos estos más de 25 años.

Para conservar la confidencialidad de los datos personales de los pacientes y familiares participantes, se asigna un identificador anónimo que permite la tipificación de los individuos por familias. También se lleva un control de datos personales, demográficos, clínicos y laboratorios, en los que se basa su diagnóstico, con lo cual se analizan y contrastan los resultados de los análisis genéticos.

Con dicho recurso, ha sido posible realizar los estudios genéticos que se van desarrollando con proyectos de investigación con distintos fines, una vez que se ha obtenido la autorización de los pacientes y/o de sus tutores, y cuando la institución ha avalado previamente que se cumple con los requerimientos éticos y de calidad científica. Esto con el propósito de obtener información sobre los rasgos genéticos de estos padecimientos y su posibilidad de heredarse en las distintas familias de estudio. Asimismo, con la captación de los pacientes y la información de la calidad física de su material biológico, contamos con una

85 www.lasalud.mx

Control en la base de datos del banco de DNA y plasmas.

A. Formulario con una criocaja digital de la Genoteca conservada en congelador a -20°C. Se muestra en segunda ventana abierta (superior) la ubicación y estatus de las muestras con su fecha de obtención, calidad y concentración, con sus identificadores anónimos de registro de número y familia.

B. Formulario con una criocaja digital de la plasmoteca conservada en ultracongelador a -80°C. Se muestra en segunda ventana abierta (superior) la ubicación y estatus de las distintas alícuotas de las muestras de un individio (de un sólo uso tras su descongelación) con su fecha de obtención, calidad y volúmen en microlitros (l), con sus identificadores anónimos de registro de número y familia.

base de datos con la información personal, clínica, laboratorio y los resultados de las pruebas de diagnóstico molecular, con lo cual ha sido posible analizar lo que llamamos el análisis de correlación genotipo-fenotipo en ambas entidades.

¿Cómo se regula una Genoteca?

El manejo de un banco de DNA requiere de una regulación dentro del marco jurídico sobre la investigación del genoma humano, con base en la Ley General de Salud y el Reglamento de Salud en materia de Investigación para la salud; el reglamento en Materia de Control Sanitario de la disposición de órganos, tejidos y cadáveres de seres humanos, principalmente.

El Estado mexicano, de acuerdo al artículo 3º. Constitucional, apoya la investigación científica y tecnológica. En el artículo 4º garantiza el derecho a la protección de la salud, por lo que la investigación en este ámbito es un tema prioritario para el desarrollo y bienestar social que está respaldado por la ley.

Desde 1997 se estableció la Declaración Universal sobre el Genoma Humano y los Derechos Humanos. Con la cual, toda investigación debe garantizar el derecho a la libertad y derechos fundamentales de los individuos de estudio, así como garantizar la libertad de investigación.

La toma de muestras biológicas de los individuos, su conservación y la finalidad de las investigaciones, debe contar el consentimiento informado por escrito de los individuos participantes o sus representantes legales. Deben recibir del investigador responsable la información sobre los objetivos y alcances de los estudios y garantizar la protección de sus datos, guardando confidencialidad de sus datos personales e información derivada de

la investigación. Así como el recibir esa información de manera clara por el investigador responsable que le brinde el asesoramiento genético y envíe también a su médico tratante para la consideración en su manejo.

Las investigaciones deben contar con la autorización de los comités de investigación, ética y de bioseguridad institucionales, que vigilan el cumplimiento de los aspectos bioéticos y de la calidad de la investigación. Asimismo, se debe considerar la perspectiva de protección ambiental de acuerdo a normas de bioseguridad para el manejo de las muestras biológicas y de los organismos genéticamente modificados que sean empleados en las investigaciones.

Resultados obtenidos con la investigación genética en Hemofilia y Enfermedad von Willebrand con el empleo de la genoteca de los pacientes afectados y familiares

¿Para qué sirve un banco de DNA?

Hemos desarrollado distintos proyectos de investigación para el estudio de los aspectos genéticos de la hemofilia A (HA) y hemofilia B (HB), así como de la Enfermedad von Willebrand (EvW). A continuación, se señalan los datos más relevantes obtenidos a partir del Banco de DNA de los pacientes y sus familiares y el impacto en su manejo clínico y asesoramiento genético.

Diagnóstico genético en Hemofilia A y B

El principal objetivo del estudio genético en las hemofilias con fines de asesoramiento es identificar el riesgo que las mujeres de las familias hereden este padecimiento. Es decir, determinar si son portadoras. Los varones son diagnosticados por sus síntomas hemorrágicos y pruebas de coagulación (TTPa y cuantificación de los factores coagulantes VIII y IX), pero las mujeres son generalmente asintomáticas y para ellas las pruebas de coagulación no son aplicables para un diagnóstico certero, porque sus valores pueden ser muy variables. Por ello, se recurre a las pruebas genéticas.

Idealmente, se busca realizar el diagnóstico de portadoras en las familias. Es decir, determinar el estado de portadora en las mujeres quienes por su relación de parentesco con el afectado de la familia o la madre portadoras obligada (hermanas, primas hermanas, sobrinas, tías maternas, nietas), tienen el riesgo de serlo, y con ello se determina a quienes pueden heredar el padecimiento con un 50% de riesgo.

Primero, se analiza la genealogía para determinar los antecedentes del padecimiento generaciones atrás o por primera vez (caso esporádico), y se identifica a las mujeres familiares directas del paciente con hemofilia (caso índice) para realizar el estudio.

Nuestro banco de DNA incluye alrededor de 3000 individuos de todos los estados del país, de los cuales, 678 corresponden a pacientes y 1924 familiares de Hemofilia tipo A de 565 familias procedentes de los 31 estados del país y 116 pacientes 301 familiares de Hemofilia tipo B de 76 familias de 21 estados del país, a lo largo de más de 25 años.

86 www.lasalud.mx

Distribución nacional de los pacientes y familiares con hemofilia A y B estudiados:1995-2022.

Datos de los pacientes y familiares de todos los estados del país captados para realizar el análisis genético y diagnóstico de portadoras.

Modificado de González-Ramos et al., Am J Med Genet C Semin Med Genet 2020; 184(4):939-954.

Diagnóstico genético de portadoras de hemofilia A y B por análisis de ligamiento

Se han realizado estudios de diagnóstico de portadoras mediante variantes genéticas por análisis de ligamiento, con lo cual se han logrado diagnosticar a 442 familias Hemofilia tipo A (78% de las captadas). Esta cifra corresponde a 534 mujeres diagnosticadas: 176 portadoras, 316 no portadoras, 42 probables portadoras de las familias de casos esporádicos en quienes se debe corroborar el diagnóstico con la detección directa de la mu-

tación o cambio genético causante del padecimiento. Desafortunadamente, 210 mujeres no pudieron diagnosticarse por las características de la metodología, con lo cual la estrategia de diagnóstico tiene un 80% de eficacia en hemofilia A.

Resultados semejantes se obtuvieron con la estrategia diagnóstica en hemofilia B, que fue informativa en 78 familias (67% de las estudiadas) con una eficacia del 88% en el diagnóstico de las mujeres de esas familias. Se encontraron 33 portadoras, 56 no portadoras y 8 probables portadoras de familias de casos esporádicos. En el caso de la Hemofilia tipo B dado que el gen F9 es considerablemente menor que el F8, fue posible realizar la secuenciación génica con la colaboración de un grupo de Estados Unidos de América a un grupo de 10 familias de distintos estados del país y lograr el diagnóstico certero.

Registro de la información y resultados diagnósticos de pacientes y familiares con Hemofilia A.

A. Formulario del listado de trabajo y resultados (foto) de electroforesis en gel de poliacrilamida con tinción de nitrato de plata, con los fragmentos de DNA amplificados por PCR (reacción en cadena de la polimerasa) de un marcador intragénico del F8 y su digestión con enzima de restricción para la identificación de variantes para el análisis de ligamiento.

B. Formulario del listado de individuos afectados con hemofilia A y familiares con su identificador numérico y registro y en ventana inferior ampliación de datos de información clínica y de coagulación de los pacientes.

Registro de la información y resultados diagnósticos de pacientes y familiares con hemofilia B.

A. Formulario del listado de trabajo y resultados (foto) de electroforesis en gel de poliacrilamida con tinción de nitrato de plata, con los fragmentos de DNA amplificados por PCR (reacción en cadena de la polimerasa) de un marcador intragénico del F9 y su digestión con enzima de restricción para la identificación de variantes para el análisis de ligamiento.

B. Formulario del listado de individuos afectados con hemofilia B y familiares con su identificador numérico y registro y en ventana inferior ampliación de datos de información clinica y de coagulación de los pacientes.

Si bien es considerable el número de mujeres que no pueden diagnosticarse, seguimos ofreciendo esta estrategia a las familias con hemofilia de nuestro país, pues ha demostrado ser la más eficiente en tiempo y costo, además de su precisión >95%. Aunque se trata de un diagnóstico indirecto, permite identificar el estado de portadora en las mujeres de la familia sin requerir de la detección del cambio genético causante y es aplicable a las familias con todas las severidades clínicas y en ambos tipos de hemofilia.

En el caso de la hemofilia A grave cuya causa en el 50% de los casos se debe a un reajuste genético característico, hemos empleado un método para su detección que se basa en pruebas básicas de genética molecular. En estos casos sí se logra

87 www.lasalud.mx

el diagnóstico directo y es posible diagnosticar a las mujeres de casos esporádicos para quienes el estudio de ligamiento tiene limitantes. A partir de 49 familias con Hemofilia tipo A grave, 26 casos familiares y 23 esporádicos, incluyendo a un total de 79 pacientes, se logró el diagnóstico en 113 mujeres, corroborando a 40 portadoras, 73 no portadoras. Además, se confirmaron tres familias con mutaciones de novo, es decir, surgidas en el paciente sin que la madre sea portadora, lo cual es una información indispensable para el asesoramiento que se brinda a las familias sobre el riesgo de heredar el padecimiento a su descendencia.

Hace poco, gracias a una valiosa colaboración con el grupo del Hospital Universitario de Nuevo León, se identificaron las mutaciones en un grupo importante de pacientes de hemofilia A y B de severidad clínica moderada y grave por medio de una estrategia de secuenciación masiva o de nueva generación, que es mucho más eficaz que la tipo Sanger (que se ha empleado años atrás y aún tenemos disponible). Con lo cual es posible confirmar el diagnóstico en el paciente y determinar el riesgo de complicaciones como el desarrollo de inhibidores para realizar un abordaje preventivo considerado por su hematólogo y un seguimiento más cercano.

Así mismo, el conocimiento del cambio genético preciso en las portadoras les permite acudir a estrategias de prevención de la herencia de la hemofilia como el diagnóstico preimplantación, que se realiza en instituciones privadas en nuestro país. Si bien, es un procedimiento costoso que implica aspectos éticos y emocionales importantes, es una alternativa de prevención de elección que debe estar disponible para las familias con este padecimiento genético en nuestro país.

Análisis genético en portadoras sintomáticas de Hemofilia A y B

Como se mencionó anteriormente, las portadoras generalmente son asintomáticas al portar tanto el gen afectado como el sano y con su expresión en conjunto, les permitiría alcanzar los niveles hemostáticos de los factores VIII o IX de acuerdo al tipo de hemofilia. Pero, en algunos casos, las portadoras presentan síntomas hemorrágicos, especialmente cuando sus niveles coagulantes son menores al 40% (rango de límite normal en varones) y pueden presentar hematomas, equimosis, sangrado nasal, sangrado postquirúrgico, metrorragia o sangrado menstrual abundante, así como sangrado postparto.

La causa genética más común que condiciona estos síntomas es el fenómeno de Lyonización desfavorable. Esto es la expresión del alelo afectado en mucho mayor proporción que la variante normal. Esto provoca que una mujer tenga síntomas y en la actualidad sea considerada no como portadora, sino como paciente con hemofilia con el fin de recibir control por el especialista y porque en casos extremos, al presentar los niveles de los factores coagulantes muy reducidos (entre 0 y 20%), es necesario el tratamiento de reemplazo (como en los varones) para resolver los sangrados.

Estrategia de diagnóstico genético de portadoras de hemofilia A y B en población mexicana.

El algoritmo del análisis molecular para el diagnóstico de portadoras y estudio genético en portadoras sintomáticas incluye: 1) Análisis de ligamiento con marcadores intragénicos de los genes F8 / F9 para el diagnóstico de portadoras de hemofilia A (HA) y hemofilia B (HB) respectivamente; 2) la detección de inversiones en intrones 1 y 22 (Inv 1-Inv22) del gen F8 en pacientes y familiares con HA grave; 3) el análisis genético del patrón de inactivación del cromosoma X (XIC) en portadoras sintomáticas. Modificado de González-Ramos et al., Am J Med Genet C Semin Med Genet. 2020;184 (4):939-954.

Hemos realizado el estudio de la inactivación del cromosoma X en 21 portadoras sintomáticas. Encontramos que el mecanismo de inactivación sesgada y desfavorable se encuentra en aproximadamente un 30% de las portadoras que manifiestan síntomas.

La estrategia integral diagnóstico genético de portadoras de hemofilia A y B sobre los estudios mencionados se detalla en el siguiente diagrama.

Predisposición al desarrollo de inhibidores en pacientes con Hemofilia A grave

El desarrollo de inhibidores es la complicación más grave en los pacientes con hemofilia. Sobre todo, en hemofilia A grave, en la que puede ocurrir hasta en un 20% de los casos, de acuerdo a datos documentados en nuestro país. Los inhibidores son aloanticuerpos (anticuerpos propios) hacia el factor terapéutico, ocasionando un alto consumo sin que sea benéfico para resolver los eventos hemorrágicos, lo cual es especialmente grave en sangrados del sistema nervioso central (hemorragia intracraneana).

Si bien el desarrollo de inhibidores se considera de origen multifactorial (influyendo la edad de inicio, el tipo de medicamento, la condición de alerta fisiológica al recibir el tratamiento, la dosis, etc. como factores externos) se ha determinado que los factores genéticos son contribuyentes esenciales. Destaca el tipo de mutación o variante patogénica causante de la hemofilia, teniendo mayor predisposición aquellos rearreglos mayores, deleciones o pérdida importante del gen, que producen un factor truncado y lo cual lo hace muy diferente a la proteína normal terapéutica y la del organismo del paciente que reconoce como extraña la que le es aplicada.

88 www.lasalud.mx

En nuestro grupo analizamos las inversiones en intrón 22 del gen del F8 como un factor de riesgo para el desarrollo de inhibidores, encontramos recién que es un factor de riesgo medio e incluso con efecto protector, ya que su presencia parece no favorecer esta complicación (Luna et al., 2018). En contraste a las deleciones o rearreglos complejos que han mostrado alto índice de inhibidores (Villarreal et al., 2020).

Factores genéticos involucrados en la artropatía hemofílica

La artropatía es considerada la secuela más incapacitante en hemofilia, porque limita las posibilidades de movilidad y, con ello, dificulta la realización de actividades productivas e independientes para el paciente. Se debe fundamentalmente a un tratamiento deficiente, ya sea por una dosis insuficiente cuando existe el sangrado articular o hemartrosis recurrente. Bien, a una falta de tratamiento oportuno que debe aplicarse en menos de dos horas cuando se presenta el sangrado articular. En estos días, las guías de tratamiento de hemofilia indican como norma un tratamiento profiláctico o preventivo 2 o 3 veces por semana, en los pacientes con hemofilia grave sin importar su afiliación de sistema de salud.

Por desdicha, seguimos observando pacientes (sobre todo adultos) con secuelas incapacitantes de artropatía que les limitan una o varias articulaciones. El desarrollo de la artropatía hemofílica se ha estudiado ampliamente y se ha considerado que su fisiopatología es semejante a la artritis reumatoide por los procesos de hipervascularización y sinovitis hipertrófica derivados de un proceso inflamatorio disparado por la sangre acumulada que al final es capaz de dañar y destruir las articulaciones (López-Jiménez et al., 2019).

Desde un panorama de la medicina genómica, consideramos que en estos comportamientos complejos participan también otros genes. Por lo que con el recurso del material genético del banco de DNA estudiamos algunas variantes de genes asociadas con inflamación y estructura del cartílago, encontramos que también pueden contribuir al desarrollo de la artropatía hemofílica. Por ello es importante considerar las variantes genéticas de los individuos, su susceptibilidad al desarrollo de distintas complicaciones para poder prevenir de manera más eficaz las distintas manifestaciones derivadas de la hemofilia.

Diagnóstico clínico, bioquímico y genético de la enfermedad von Willebrand en el occidente de México

El diagnóstico de la enfermedad von Willebrand es todo un reto en desarrollo en nuestro país. Con nuestro grupo comenzamos a abordar las pruebas de diagnóstico bioquímico y complementarias con el análisis de multímeros del factor von willebrand hace 10 años y partir del año 2012 a la fecha. En la actualidad, continuamos con la captación de pacientes de Jalisco y la región occidente del país que acuden al estado para atención de tercer nivel, ya que por ser una patología muy poco frecuente, requiere pruebas diagnósticas altamente especializadas.

Aprendimos que del total de pacientes que acuden para el estudio con sintomatología hemorrágica mucocutánea, un 10% en aproximación se confirmará con el padecimiento. Si bien se considera la principal causa de trastorno hemorrágico hereditario, de acuerdo a la actualización en los criterios diagnósticos por la Sociedad Internacional de Trombosis y Hemostasia (ISTH), su frecuencia poblacional con relevancia clínica es del 0.01%. Es decir, presente en uno de cada 10,000 individuos. Por otra parte, es necesaria la precisión en los criterios diagnósticos y muchos pacientes no se confirman con el padecimiento, aunque sí presentan síntomas hemorrágicos que deben atenderse y pueden ser debidos a otros rasgos fisiológicos, trastornos plaquetarios o coagulopatías raras.

Las pruebas de diagnóstico fundamentales son las confirmatorias, es decir la cuantificación de la función ristocetina (o de unión a colágeno, muy poco accesible) y la cuantificación del antígeno. Si el paciente presenta niveles menores al 30% se considera EvW. En los laboratorios clínicos de nuestras instituciones de salud (aún de tercer nivel) no contamos con las pruebas confirmatorias completas, y se requiere implementar para contar con el diagnóstico básico de EvW en los pacientes y lograr su manejo terapéutico adecuado.

Cuando los valores de función y antígeno se encuentran reducidos a la par, se trata de una deficiencia cuantitativa o tipo 1, cuyo extremo de ausencia completa (ambos valores <5%) identifica a la EvW tipo 3. Cuando los valores son menores a un 15% se considera una EvW tipo 1 grave. Cuando los valores de función son en consideración más reducidos que los del antígeno con una relación entre estos valores < 0.6, se trata de alguna variante tipo 2 o cualitativa, la cual se subdivide a su vez, en subtipos 2A, 2B, 2M o 2N, para cuya determinación se requieren algunas pruebas discriminatorias como el análisis

Registro de la información y resultados diagnósticos de pacientes con Enfermedad von Willebrand (EvW).

A. Formulario de los datos de evaluación clínica y de laboratorio de escrutinio, confirmatorios y discriminatorios de los pacientes con EvW.

B. Formulario del listado de trabajo y resultados (foto, orientación horizontal) del ensayo de inmunoestadificación y transferencia a nitrocelulosa para determinación del patrón de multímeros del factor von Willebrand (FvW) de los plasmas de 10 pacientes y en los extremos los controles normales de grupo sanguíneo O (superior) y A (inferior).

89 www.lasalud.mx

de multímeros: 2A por la ausencia de los multímeros de alto y medio peso molecular y la 2B por ausencia de los de alto peso molecular. Aunque, inicialmente, se consideró al análisis de multímeros como el “estándar de oro” en el diagnóstico de EvW e invertimos un gran esfuerzo en su estandarización y aplicación en el diagnóstico, la prueba es compleja, proco reproducible y solo es informativa. Debe aplicarse cuando las pruebas confirmatorias indiquen una probable variante tipo 2.

Por otra parte, la prueba de unión a colágeno puede ayudar a discriminar entre una variante tipo 1 ó 2M. Ambos con un patrón completo de multímeros y en el caso de la prueba de unión del FvW al FVIII puede identificarse a una variante tipo 2N de sospecha con la disminución significativa del FVIII:C, además de la función y antígeno del FvW bajos con una relación >0.6. Sin embargo, todas las pruebas discriminatorias son costosas al requerir el empleo de anticuerpos y se realizan sólo por laboratorios especializados. En nuestro caso, con la experiencia en el diagnóstico genético molecular, hemos acudido a la estrategia de identificación de mutaciones en regiones específicas el gen VWF donde se localizan las variantes patogénicas o mutaciones causantes de las variantes funcionales. De esta forma, el análisis de regiones específicas del gen VWF permite discriminar alteraciones de unión a la glicoproteína plaquetaria (tipos 2A y 2B), al colágeno (2M) o al factor VIII (2N), permitiendo la identificación de la causa genética del padecimiento y la confirmación final del subtipo de EvW en los pacientes.

Desde el punto de vista del apoyo terapéutico no es requerida la confirmación del subtipo preciso del padecimiento, ya que de acuerdo a los niveles antigénicos y la deficiencia de función ristocetina del FvW y el nivel del FVIII:C que arrojan las pruebas confirmatorias, se define la EvW como tipo 1 o 2 y el requerimiento del FVIII:C para los pacientes.

Esto es suficiente para brindar la opción de tratamiento, tanto con los factores purificados/recombinantes FvW, complejo FvW/ FVIII o bien la desmopresina, importante auxiliar en hemorragias leves o menorragia en mujeres. Principalmente cuando presentan una EvW tipo 1, en quienes la respuesta por incremento del FvW propio por el efecto del fármaco es eficaz cuando el FvW es funcional. La respuesta es variable cuando se sospecha de una variante funcional en los tipos 2A, 2M, 2N y es contraindicada en la EvW tipo 2B, ya que ocasiona mayor trombocitopenia. En general, la desmopresina no es recomendable como tratamiento en las variantes funcionales.

Hasta el momento, con el estudio de más de 300 pacientes enviados por los hematólogos por sospecha clínica de EvW y algunas pruebas de coagulación, fundamentalmente TTP prolongado y disminución de FvW antigénico y FvW:C, hemos diagnosticado bioquímica y genéticamente alrededor de 50 pacientes no relacionados y a sus familiares, que en conjunto incluyen alrededor de un centenar de casos diagnosticados. Se han identificado variantes patogénicas ya reportadas en otras poblaciones, así como variantes nuevas descritas por primera vez, las cuales se encuentran en proceso de publicación internacional.

Algoritmo diagnóstico para Enfermedad von Willebrand.

Los pacientes referidos por sus hematólogos por tendencia hemorrágica mucocutánea y pruebas de laboratorio de escrutinio de sospecha (incluyendo FvW:Ag y FVIII:C bajos), se captan con la toma de muestra sanguínea para obtención de plasma y DNA y se realiza la evaluación clínica estandarizada de tendencia de sangrado, se elabora la genealogía con los antecedentes familiares hemorrágicos y se completan las pruebas confirmatorias como punto de partida indispensable para proceder a las pruebas complementarias disponibles y concluir con el diagnóstico genético. Modificado de Padilla-Romo et al., Haemophilia. 2021; 27(1):e78-e87. https://doi. org/10.1111/hae.14203.

Los resultados obtenidos han sido informados a los pacientes y a sus hematólogos para la consideración de su manejo, especialmente por problemas ginecológicos, manejo del parto o procedimientos quirúrgicos. Es muy importante continuar los esfuerzos de diagnóstico en estos pacientes para su protección y contar con la información de los pacientes identificados en el Registro Mexicano de Coagulopatías (RMC).

La estrategia diagnóstica de EvW que hemos integrado con nuestra experiencia en el estudio de los pacientes de nuestro país, y que aplicamos actualmente se detalla en el siguiente diagrama.

Conclusiones

• El banco de DNA o genoteca de los trastornos hereditarios de la coagulación de población mexicana que hemos integrado en nuestra institución, constituye un recurso muy valioso que ha apoyado el estudio y diagnóstico de nuestros pacientes. Sigue siendo vigente después de 27 años, con lo cual podrá seguir siendo la base para la ampliación de estudios en las familias de nuestro país.

• Nuestros datos aportan la mayor investigación a nivel internacional sobre el diagnóstico molecular de portadoras de hemofilia A y hemofilia B de acuerdo al número de casos estudiados y diagnosticados, adicionalmente al análisis genético de portadoras sintomáticas.

90 www.lasalud.mx

• Los marcadores intragénicos de los genes F8 y F9 junto con las inversiones de F8 en HA grave integran los marcadores de diagnóstico molecular óptimos en población mexicana.

• En el asesoramiento genético de las portadoras sintomáticas debe considerarse la herencia del sesgo en la inactivación del cromosoma X.

• Estos estudios constituyen en la actualidad un servicio de asistencia que se ofrece a las familias con Hemofilia

A y B de nuestro país.

• La colaboración con otros grupos de experiencia en el análisis genético en México es muy valiosa para conocer las variantes genéticas de nuestra población y evaluar su efecto en el fenotipo de los pacientes de forma integral con el apoyo de las nuevas tecnologías de secuenciación (NGS).

• El análisis de correlación genotipo-fenotipo en la hemofilia debe considerar las variantes genéticas más allá de los factores de coagulación. Así como pruebas funcionales para abordar las complicaciones clínicas de los pacientes y la respuesta al tratamiento con el fin de ofrecer una medicina personalizada.

• Contamos con el mayor número de pacientes diagnosticados con EvW en México de forma integral: a nivel clínico, bioquímico y genético. Con esto se podrá confirmar el diagnóstico en sus familiares a nivel genético directamente con fines preventivos y logrando la optimización de los recursos del total de pruebas requeridas de forma inicial.

• La pruebas confirmatorias para el diagnóstico de EvW en nuestro país deben implementarse en los laboratorios de coagulación de todas las instituciones de salud, como recurso básico para la identificación, diagnóstico y apoyo terapéutico para los pacientes.

Grupo de Investigación de la Dra. Ana Rebeca Jaloma Cruz (1998 – 2022)

Profesionales que integran e integraron el grupo de trabajo y realizaron sus tesis de Licenciatura, Maestría y Doctorado con el desarrollo de los distintos proyectos de investigación sobre el diagnóstico molecular y correlación genotipo-fenotipo en la Hemofilia A, Hemofilia B, Enfermedad von Willebrand y Trombofilia. Les debo mi gratitud y reconocimiento por su valiosa aportación. Se indica su nombre completo y adscripción laboral actual (2022).

ARI. Dra. en C. Isaura Araceli González Ramos. Universidad Autónoma de Guadalajara, Zapopan, Jalisco.

JESSI. Dra. en C. Jessica Mundo Ayala. Universidad de las Américas Puebla. San Andrés Cholula, Puebla.

CHUY. Dr. en C. José de Jesús López Jiménez. Centro de Investigación Biomédica de Occidente, IMSS / DFMI, Centro Universitario de Ciencias de la Salud, Universidad de Guadalajara. Guadalajara, Jalisco.

JOHANNA. Dra. en C. Johanna Milena Mantilla Capacho. Sistema Nacional para el Desarrollo Integral de la Familia (SNDIF). Ciudad de México.

CLAUDIA (qepd). Dra. en C. Claudia Patricia Beltrán Miranda. Centro Universitario del Sur, Universidad de Guadalajara. Ciudad Guzmán, Jalisco.

LIDIA. M. en C. Lidia Cerda Aguilar. Guadalajara, Jalisco.

CATY. M. en C. Catalina Andrea Fuentes Chávez. Laboratorio Clínico ADQ (Auxiliares Diagnósticos Querétaro). Querétaro, Querétaro.

MAYRA. M. en C. Mayra Valdés Galván. Hospital Universitario de Nuevo León. Monterrey, Nuevo León.

HILDA. Dra. en C. Hilda Luna Záizar. Centro Universitario de Ciencias Exactas e Ingenierías, Universidad de Guadalajara. Guadalajara, Jalisco.

ARA. QFB Araceli Bustos Colorado. Laboratorios Biogénica. Villahermosa, Tabasco. ZAVI. Dra. en C. María Guadalupe Zavelia Padilla Romo. Aguascalientes, Aguascalientes.

IRVING. Biól. Irving Jair Lara Navarro. Doctorado en Genética Humana, Centro Universitario de Ciencias de la Salud, Universidad de Guadalajara. Guadalajara, Jalisco.

NICO. Biól. Nils Lorenz Borjesson Galmiche. Granada, España.

LENNON. Dr. en C. Lennon Meléndez Aranda. Centro de Investigación en Dinámica Celular, Universidad Autónoma del Estado de Morelos.

DIANA. Dra. en C. Diana Ornelas Ricardo. Universidad Autónoma de Guadalajara. Zapopan, Jalisco.

MICHEL. QFB Rosa Michel Martínez Contreras. Doctorado en Genética Humana, Centro Universitario de Ciencias de la Salud, Universidad de Guadalajara. Guadalajara, Jalisco.

Colaboradores Médicos Hematólogos.

Médicos adscritos y Residentes de Hematología Pediátrica y de Adultos, del Centro Médico Nacional de Occidente, IMSS, Delegación, Jalisco.

Mi agradecimiento a todos ellos y en especial a mi querida Dra. Janet Soto Padilla, Hematóloga Pediatra por su alto compromiso con sus pacientes, así como por la colaboración en la realización de proyectos de especialidad médica en hematología, con el estudio de los pacientes con trastornos de coagulación.

DIANA. Dra. en C. Diana Ornelas Ricardo. Universidad Autónoma de Guadalajara. Zapopan, Jalisco.

MICHEL. QFB Rosa Michel Martínez Contreras. Doctorado en Genética Humana, Centro Universitario de Ciencias de la Salud, Universidad de Guadalajara. Guadalajara, Jalisco

91 www.lasalud.mx

Agradecimientos y dedicatoria del trabajo de investigación.

Agradecimiento a la Federación Mundial de Hemofilia por el apoyo al proyecto del diagnóstico de pacientes con Enfermedad von Willebrand a través de la Federación de Hemofilia de la República Mexicana, A.C. Quien, a lo largo de toda la trayectoria de la investigación, ha apoyado la realización de los estudios genéticos a los pacientes de nuestro país y ha sido el canal de comunicación con los pacientes y familias de las asociaciones estatales para la realización de los distintos estudios y asesoramiento. Agradecimiento especial a la Asociación Unidad y Desarrollo Hermanos con Hemofilia, de Jalisco, por la colaboración estrecha para la realización del programa Médico-PsicoSocial para los pacientes y familias de Jalisco, con sede en el CIBO, IMSS por más de 20 años. Mi profunda gratitud y cariño por el trabajo conjunto realizado a la Dra. María Amparo Esparza Flores y el Lic. Carlos Ricardo Gaitán Fitch, y mi reconocimiento y admiración por su entrega y compromiso con la hemofilia en México.

Bibliografía

1. Srivastava A, Santagostino E, Dougall A, et al. WFH Guidelines for the Management of Hemophilia, 3rd edition. Haemophilia. 2020:00:1-158.https://doi.org/10.1111/hae.14046

2. van Galen KPM, d’Oiron R, James P, et al. A new hemophilia carrier nomenclature to define hemophilia in women and girls: Communication from the SSC of the ISTH. J Thromb Haemost. 2021;19:1883–1887. https:// doi.org/10.1111/jth.15397

3. James PD, Connell NT, Ameer B, et al. ASH ISTH NHF WFH 2021 guidelines on the diagnosis of von Willebrand disease. Blood Adv. 2021; 5(1): 280-300. DOI 10.1182/bloodadvances.2020003265.

4. Brena SI. Panorama sobre la legislación en materia de genoma humano en México. Investigaciones Jurídicas de la UNAM. https://archivos.juridicas.unam.mx

5. González-Ramos IA, Mantilla-Capacho JM, Luna-Záizar H, Mundo-Ayala JN, Lara-Navarro IJ, Ornelas-Ricardo D, González Alcázar JA, Evangelista-Castro N, Jaloma-Cruz AR. Genetic analysis for carrier diagnosis in hemophilia A and B in the Mexican population: 25 years of experience. Am J Med Genet C Semin Med Genet. 2020 Dec;184(4):939954. doi: 10.1002/ajmg.c.31854. Epub 2020 Nov 15. PMID: 33191626 DOI: 10.1002/ ajmg.c.31854. Online ISSN:1552-4876.

6. Villarreal-Martínez L, Ibarra-Ramirez M, Calvo-Anguiano G, Lugo-Trampe JJ, Luna-Záizar H, Martínez-de-Villarreal LE, Meléndez-Aranda L, Jaloma-Cruz AR. Molecular genetic

diagnosis by next-generation sequencing in a cohort of Mexican patients with haemophilia and report of novel variants. Blood Cells Mol Dis 83,102423. https://doi.org/10.1016/j. bcmd.2020.102423. Epub 2020 Mar 9. PMID: 32224444. 1079-9796 (print) 1096-0961 (web)

7. Luna-Záizar H, González-Alcázar JA, Evangelista-Castro E, Aguilar-López LB, Ruiz-Quezada S, Beltrán-Miranda CP, Jaloma-Cruz AR. F8 inversions of introns 22 and 1 confer a moderate risk of inhibitors in Mexican patients with severe hemophilia A. Concordance analysis and literature review. Blood Cells Mol Dis 2018; 71: 45-52. Epub 2018 Feb 23. DOI: 10.1016/j.bcmd.2018.02.003. ISSN: 1079-9796. PMID: 29544691.

8. López-Jiménez JJ, Ortega-Cervantes R, Luna-Záizar H, Fletes-Rayas AL, Beltrán-Miranda CP, Troyo-Sanromán R, Soto-Padilla J, Tlacuilo-Parra A, Jaloma-Cruz AR. Genetic biomarkers related to hemarthrosis, inflammation, and cartilage structure in pediatric patients with hemophilic arthropathy. Mol Genet Genomic Med. 2019 Nov;7(11):e979. https://doi: 10.1002/mgg3.979. Epub 2019 Sep 30. PMID: 31566926; PMCID: PMC6825867. Online ISSN: 2324-9269

9. Padilla-Romo MGZ, Ornelas-Ricardo D, Luna-Záizar H, Jaloma-Cruz AR. Diagnosis of von Willebrand disease in Western Mexico. Haemophilia. 2021; 27(1): e78-e87. https://doi. org/10.1111/hae.14203

92 www.lasalud.mx

Hemofilia y embarazo

Por: Redacción

LaSalud.mx.- La hemofilia es causada por un defecto en uno de los genes encargados de fabricar los factores de la coagulación. Estos genes se localizan en el cromosoma X. Todos los hombres tienen un cromosoma X y un cromosoma Y (XY) y todas las mujeres tienen dos cromosomas X (XX).

Una mujer que herede un cromosoma X afectado se convierte en “portadora” de la hemofilia. Ella puede transmitir el gen afectado a sus hijos. Además, una mujer portadora en ocasiones puede tener síntomas de hemofilia. Es más, algunos médicos describen en estas mujeres casos leves de hemofilia.

Un proveedor de atención médica debería revisar y proporcionar atención médica a las mujeres que son portadoras del gen de la hemofilia y que presentan algún síntoma de este trastorno. La atención médica de buena calidad por parte de médicos y enfermeros que sepan mucho sobre este trastorno puede ayudar a prevenir algunos problemas graves.

Una mujer portadora del gen de la hemofilia puede tener niveles bajos del factor de la coagulación VIII o del factor IX y presentar síntomas de hemofilia. Durante el embarazo, los niveles de la proteína del factor de VIII aumentan. Esto puede dificultar la determinación del nivel del factor de la coagulación y el diagnóstico, si la mujer es portadora, en caso de que el diagnóstico no se haya hecho antes del embarazo. Los niveles del factor de la coagulación IX no aumentan durante el embarazo.

Es importante para la salud de la mujer que sus proveedores de atención médica conozcan si es portadora del gen, de tal manera que se tomen medidas para que tenga un parto seguro. Estas medidas de prevención incluyen no utilizar, en lo posible, fórceps o una ventosa obstétrica para ayudar durante el parto.

Si la madre es portadora del gen de la hemofilia, existe la probabilidad de que el bebé nazca con hemofilia. Se puede planificar una prueba especial de detección de la hemofilia antes del nacimiento del

bebé para poder tomar una muestra de sangre del cordón umbilical (que conecta al bebé con la madre durante el embarazo) para analizarla y saber inmediatamente si el bebé tiene hemofilia. También se pueden hacer análisis de sangre poco después de que nazca un bebé varón Es importante saber, tan pronto como sea posible después del nacimiento, si el bebé tiene hemofilia para que se puedan tomar medidas especiales que le prevengan complicaciones hemorrágicas.

Las madres portadoras del gen de la hemofilia tienen riesgo de presentar una hemorragia grave después del parto. Esto se debe a que los altos niveles del factor de la coagulación VIII durante el embarazo disminuyen después del parto. Si la mujer tiene niveles bajos del factor de la coagulación IX, podría sangrar después del parto o de una cirugía como la cesárea. Algunas mujeres sangran por el canal del parto por un tiempo prolongado. Esto se llama hemorragia posparto y puede ser necesario administrar tratamiento para detener el sangrado.

93 www.lasalud.mx

El 60% de los casos de Hemofilia en México son graves

Por: Redacción

LaSalud.mx.- Takeda -biofarmacéutica con más de 240 años de historia- busca generar conciencia e informar acerca de la hemofilia. Está enfermedad afecta a más de 6 mil personas en México, de los cuales el 60% son casos graves. Esto lo dio a conocer Andrés Hernández, Gerente Sr de Relaciones Corporativas y Comunicación para Latinoamérica en Takeda.

La hemofilia es un trastorno hereditario en el que la sangre no coagula de manera adecuada, por lo que produce sangrados internos o externos. Ocasionando que los pacientes, en su mayoría hombres, estén propensos a experimentar sangrados espontáneos o excesivos después de una herida o lesión. Aunado a ello, se pueden presentar afectaciones físicas y psicosociales, como limitación para realizar actividades físicas y/o ejercicio, lo que impacta en el estado anímico del paciente, debido a la exclusión en ciertas actividades sociales.

Cabe mencionar -que de manera histórica-, a la hemofilia ha sido conocida como la “enfermedad de los reyes’’, ya que se

presentó en diferentes integrantes de las familias reales en la Europa del siglo XX. Las familias reales de Inglaterra, Prusia, España y Rusia fueron algunas de las afectadas por este padecimiento. La endogamia -común entre la realeza-, propició que el número de casos entre los miembros de una misma familia real fueran frecuentes, ya que la hemofilia es una condición hereditaria que se transfiere principalmente de las madres a los hijos varones.

“Uno de los casos de hemofilia más recordados a lo largo del tiempo es el de Alexei, hijo de Alejandra y el Zar Nicolás II de Rusia, los últimos miembros de la dinastía Romanov. Se dice que cuando la familia real estaba en riesgo por el estallido de la revolución, decidieron no huir y quedarse en Rusia, ya que Alexis podría sufrir alguna lesión grave que comprometiera su vida a consecuencia de la hemofilia. Además, creían que Rasputín era el único que podía controlar la hemofilia del joven”, destaca el Dr. Rodolfo Guajardo Moguel, Líder Médico para Hemofilia en Takeda.

94 www.lasalud.mx

Definiendo a la Hemofilia en mujeres y niñas

Por: Dra. Mónica Lozano Garcidueñas, Hematóloga Pediatra.

gulación (II, V, VII, X, XI, XIII y combinada), lo que eleva de forma considerable el número de mujeres con trastornos hemorrágicos, que se ven afectadas, en mayor o menor medida, en función de sus características individuales y grados de padecimiento.

Entre las mujeres, los síntomas más comunes incluyen: epistaxis (hemorragia nasal), hematomas, menorragia, hemorragias tras cirugía, parto o trauma, y problemas durante el embarazo.

de evaluación del sangrado para aclarar los umbrales; además de algoritmos de diagnóstico para la enfermedad de von Willebrand (VWD) y los trastornos de la función plaquetaria. También, se están realizando esfuerzos para mejorar la comunicación con la nomenclatura utilizada para los portadores de hemofilia.1

Tanto la hemofilia A como la B son un trastorno hemorrágico debido a la deficiencia hereditaria de factores VIII o IX de la coagulación. Además, es una de las coagulopatías hereditarias más abordadas, con extensa investigación clínica y cuenta con grandes avances de tratamiento en las últimas décadas. Históricamente, ha sido considerada una enfermedad de hombres, ya que por su herencia ligada al cromosoma X se pensaba a las mujeres como meras trasmisoras de la enfermedad, por ello han sido catalogadas solo como portadoras asintomáticas. Este concepto, erróneo y común, se contradice con un creciente cuerpo de evidencia con informes consistentes sobre una mayor tendencia al sangrado en portadoras de hemofilia (PH), incluidos aquellos con niveles normales de factor VIII/IX (FVIII/IX). Hoy en día, somos conscientes de que las mujeres con hemofilia, tanto hemofílicas como portadoras, presentan también, en muchos casos, sintomatología específica que merece ser tomada en cuenta y atendida.

Sabemos, asimismo, que muchas mujeres se ven afectadas por otras coagulopatías. La enfermedad de von Willebrand déficit de diversos factores de la coa-

Por todo ello, se hace fundamental hablar de coagulopatías en femenino, dar visibilidad y respuesta a las necesidades de las mujeres y crear un espacio donde informarse y formarse, compartir y defender sus derechos y atención como pacientes.

Es importante, entonces, reconocer que las mujeres con trastornos hemorrágicos sufren múltiples síntomas, como los mencionados previamente, que comprenden moretones con facilidad, epistaxis, sangrado por heridas menores y la cavidad bucal, y sangrado después de un trabajo dental o una cirugía. Sin embargo, se ha documentado que sufren, en especial, hemorragias ginecológicas y obstétricas. Estos síntomas, a menudo, no se reconocen como anormales y muchas mujeres quedan sin diagnosticar y sin acceso a la atención médica adecuada. Los desafíos adicionales para el diagnóstico de mujeres con trastornos hemorrágicos incluyen la falta de acceso a pruebas de laboratorio apropiadas, y problemas relacionados con la clasificación y la nomenclatura de la enfermedad. Se han realizado esfuerzos para afrontar estos desafíos, incluido el desarrollo y la validación de herramientas y estrategias

El término PH puede dificultar el diagnóstico, la atención clínica y la investigación. Por lo tanto, se ha definido una nueva nomenclatura basada en un proceso iterativo abierto que involucra a expertos en hemofilia, pacientes y a la Sociedad Internacional de Trombosis y Hemostasia (ISTH). La nomenclatura resultante tiene en cuenta el historial de hemorragia personal y el nivel de FVIII/IX en plasma de referencia. Distingue cinco categorías de HC clínicamente relevantes: mujeres/ niñas con hemofilia leve, moderada o grave (FVIII/IX >0,05 y <0.40UI/ml, 0.010.05UI/ml y <0.01UI/ml respectivamente), PH sintomática y asintomática (FVIII/IX >0,40 UI/ml con y sin fenotipo hemorrágico, respectivamente). Esta nueva nomenclatura está dirigida a mejorar el diagnóstico y manejo, como aplicar terminologías uniformes para la investigación clínica.2

Se ha esperado que las portadoras de hemofilia A y B, tanto severa como moderada, tengan, aproximadamente, un 50% en cuanto al nivel normal de los factores VIII y IX. Sin embargo, debido a la inactivación del cromosoma X, en la vida embrionaria temprana, los niveles de factor pueden variar de forma considerable. Esto regularmente conduce a una mayor tendencia al sangrado, lo que a su vez puede afectar calidad de vida relacionada con la salud (CVRS). Se puede sugerir que el subgrupo de portadoras de

95 www.lasalud.mx

Nueva nomenclatura para portadoras de hemofilia y mujeres y niñas con hemofilia. El término “portador asintomático de hemofilia” refleja únicamente el fenotipo de sangrado, no la carga real de ser portador de hemofilia.

J. Thromb Haemost. 2021; 19:1883–1887.

hemofilia con mayor tendencia hemorrágica tiene una CVRS deteriorada y esta condición afecta la salud mental, incluso más que la física. 3

Por otro lado, se ha documentado que un tercio aproximado de las mujeres portadoras con hemofilia manifiesta niveles deficientes de FVIII o FIX. No obstante, los síntomas de sangrado anormal no solo se han informado en portadoras con niveles bajos de factor, sino también en aquellas con niveles normales de factor. Se carece de comprensión clara de la fisiopatología subyacente y los estudios previos que evalúan el sangrado de las portadoras de hemofilia, no han utilizado un enfoque estandarizado.4

Al afirmar que las mujeres portadoras de hemofilia pueden sufrir una mayor tendencia al sangrado, la evaluación del riesgo de sangrado es muy importante para mejorar la atención. En un estudio de Miesbach W y colaboradores desde

2011, se documenta la aparición de hemorragias en 46 portadoras de hemofilia A, incluidas hemorragias después de la extracción dental (77 %), hematomas fáciles (67 %), hemorragia posquirúrgica (61 %), menorragia (50 %) o hemorragia posparto prolongada ( 43%). Se determinó la mutación del gen F8 de las 46 portadoras (edad media: 36,5 años, 15–80 años; actividad media de FVIII:C: 59 ± 24-45 %; rango normal: 64–167 %), y se registraron los antecedentes familiares de hemofilia. Para el análisis, la tendencia al sangrado de los portadores se diferenció por severidad en tres grupos. No hubo diferencia estadísticamente significativa de FVIII:C entre estos grupos. Pero, se encontró una correlación entre la gravedad de la tendencia al sangrado y el tipo de mutación del gen F8 (p <0,05), así como la gravedad de la hemofilia en los familiares masculinos afectados (p <0,0005). Los resultados muestran que incluso los portadores con una actividad de FVIII:C tan alta, como

50% a 60%, tienen un mayor riesgo de hemorragia. La incidencia y la intensidad de los síntomas hemorrágicos de las portadoras de hemofilia A son altas y se correlacionan con el fenotipo del pariente hemofílico masculino y la mutación del gen F8 subyacente.5

En 2010 se publicó un BAT (herramienta de evaluación de sangrado) de consenso, el ISTH-BAT, un cuestionario administrado por expertos, que utiliza una puntuación de 0-4, con un sistema para cada síntoma de sangrado. La puntuación global de sangrado (BS) es sumativa, y se consideran puntuaciones ≥4 para hombres y ≥6 para mujeres, positivo o anormal, aunque originalmente diseñado para enfermedad de von Willebrand (EvW).4

James, en 2016, al apoyar el reconocimiento de que las mujeres portadoras de hemofilia manifiestan sangrado anormal, y que a pesar de ello faltaban datos sobre el uso de herramientas de evaluación del sangrado (BAT) en esta población, intentó validar el ISTH-BAT en portadoras de hemofilia, para describir los síntomas hemorrágicos y permitir comparaciones con los niveles de factor y otros grupos de pacientes. Este fue un estudio prospectivo, observacional y transversal realizado por miembros del Global Emerging Hemostasis Panel (GEHEP). Los resultados mostraron que las portadoras de hemofilia experimentan sangrado anormal, incluida la hemartrosis. En general, la puntuación global de sangrado (BS) en mujeres con trastorno hemorrágico fue: EVW tipo 1 > portadoras de hemofilia > EVW tipo 3 OC >controles. Concluyendo que el rendimiento del ISTH-BAT en esta población es un paso fundamental en la investigación destinada a investigar la fisiopatología subyacente del sangrado anormal, con el objetivo final de optimizar el tratamiento.4,6

Así pues, desde 2005, muchas herramientas de evaluación de sangrado (BAT) han sido validadas para cuantificar de forma objetiva los síntomas hemorrá-

96 www.lasalud.mx

gicos. El ISTH-BAT fue elegido como el BAT administrado por expertos para un estudio realizado en 2017 por Young y colaboradores. Este fue aprobado para su uso en portadores de hemofilia, y respaldado por la Sociedad Internacional de Trombosis y Hemostasia; y ha sido ampliamente aceptado y utilizado por la comunidad de hemofilia, comparándolo con un BAT autoadministrado (Self-BAT), que fue generado para convertir el ISTH-BAT, administrado por expertos, en un lenguaje común. Young encontró que las BS Self-BAT estaba altamente correlacionado con el ISTH-BAT, administrado por un experto con un coeficiente de correlación intraclase (ICC) de 0,95 y los mismos rangos normales. Por lo anterior, los resultados sugieren que Self-BAT es una herramienta de detección prometedora para sangrado, y que es una herramienta de detección prometedora para sangrado en otras poblaciones con trastornos hemorrágicos, como en las portadoras de hemofilia. Además, la investigación ha demostrado que la calidad de vida, en particular la salud mental, se ve disminuida para los portadores de hemofilia 4

En dicho estudio, se buscó investigar la utilidad de la Auto-BAT en portadoras para evaluar correlaciones entre la puntuación de sangrado, el nivel de FVIII/ FIX y calidad de vida (QoL). Siendo una herramienta prometedora en términos de generar de manera eficiente datos útiles que reflejen la gravedad del sangrado experimentado por estas mujeres, lo que debería hacer que la evaluación del sangrado en portadoras de hemofilia sea más accesible. De modo curioso, la sensibilidad para la identificación de un nivel bajo de FVIII/FIX es más alto para Self-BAT que para ISTH-BAT, donde fue del 57% en portadores de hemofilia.La falta de correlación entre los niveles de FVIII/FIX negativa significativa y entre Self-BAT-BS y los puntajes de calidad de vida brindan una justificación para realizar más estudios sobre los deter-

Un estudio transversal del fenotipo hemorrágico en portadores de hemofilia A Comparación de los antecedentes de hemorragia notificados entre portadoras de hemofilia A y mujeres normales Br J Haematol, Volume: 170, Issue: 2, Pages: 223-2287

minantes del sangrado en portadores de hemofilia y los factores que contribuyen a su percepción general de la salud 4,7,8

Se ha observado cómo la tendencia al sangrado en mujeres portadoras es extremadamente variable, y puede estar asociada con niveles bajos de factor de coagulación. Esto podría explicarse por variaciones genéticas F8 o F9, anomalías cromosómicas X, numéricas o estructurales, o variaciones epigenéticas, como la inactivación irregular del cromosoma X (XCI). Con base en ello, se realizó en 2021 el ensayo HUMARA, con el objetivo de determinar si la baja actividad coagulante de FVIII o FIX en portadoras de hemofilia podría estar relacionada con XCI y síntomas hemorrágicos. En el 97% de las portadoras de hemofilia se encontró una variante genética específica en estado heterocigoto, que por sí sola no podría justificar sus niveles bajos de FVIII o FIX (≤50 UI/dL). Se observó una asociación estadística entre el patrón XCI y los niveles de FVIII y FIX. Además, las mujeres portadoras con baja actividad coagulante (≤20 UI/

dL) y alto grado de XCI ( ≥ 80:20) tenían una puntuación ISTH-BAT más alta que las portadoras con las condiciones opuestas (>20 UI/dL y <80:20). En su cohorte de portadoras de hemofilia, el XCI

Comparación de la puntuación ISTH-BAT entre dos grupos de portadores de hemofilia. Grupo A: portadores con nivel de factor >20 UI/dL y patrón XIC <80:20. Grupo B: portadores con nivel de factor ≤20 UI/dL y patrón XIC ≥80:20. La línea horizontal discontinua indica el valor anormal de la puntuación ISTH BAT (≥6).9

97 www.lasalud.mx

fue, de forma significativa, sesgado, lo que puede contribuir a la baja expresión de los niveles de factor de coagulación y los síntomas hemorrágicos.9

Las personas con hemofilia experimentan sangrado musculoesquelético repetido, lo que puede conducir a una disminución del rango de movimiento, daño articular irreversible, baja densidad mineral ósea (DMO) y un mayor riesgo de osteoporosis. Las mujeres heterocigotas para esta mutación pueden tener síntomas hemorrágicos, incluso experimentar sangrado articular evidenciado por cambios radiológicos en los tejidos blandos y osteocondrales. La prevalencia de DMO baja como factor de riesgo de osteoporosis debe ser evaluada en portadoras de hemofilia y, dados los hallazgos recientes que sugieren hemorragia musculoesquelética subclínica en mujeres portadoras, se plantea la hipótesis de que ellas también corren el riesgo de tener una salud ósea deteriorada.10

Los datos, sobre el efecto del aumento del sangrado en la calidad de vida relacionada con la salud (CVRS) en portadoras de hemofilia A, son escasos. Para probar la hipótesis de que las portadoras de hemofilia tienen una CVRS reducida en relación con los síntomas hemorrágicos, Gilbert R. realizó un estudio transversal en la Universidad de Vanderbilt, en el cual demostró puntuaciones medianas significativamente más bajas en la Encuesta de salud 1.0 de 36 ítems de Rand en los dominios de “Dolor” y “Salud general” en comparación con las mujeres en el grupo de control, resaltando la necesidad de una mayor investigación del efecto del sangrado en la CVRS en la población de mujeres con hemofilia.7,8

La prueba de portadoras, el asesoramiento genético y el diagnóstico prenatal se han convertido en una parte integral de la atención de la hemofilia, pero la calidad de vida y el manejo de las portadoras con frecuencia si-

guen siendo subóptimos. Es de suma importancia evaluar el impacto físico y psicosocial de ellas, ya que las situaciones problemáticas físicas, psicológicas y sociales no son infrecuentes. Hay que instruirlos sobre sus posibles síntomas hemorrágicos y su condición para ofrecerles soluciones que satisfagan sus necesidades y les ayuden a disfrutar de una calidad de vida satisfactoria en todas las etapas de su vida.11

El impacto del sangrado en mujeres con trastornos de la coagulación (WBD, por sus siglas en inglés) es de creciente enfoque e importancia. A pesar de esto, las estrategias de gestión óptimas no están claras y persisten lagunas de conocimiento. En ese sentido, se realizó un examen de las prácticas y prioridades de investigación sobre diagnóstico y manejo de WBD en Europa, a través de una encuesta electrónica sobre el manejo clínico de WBD a 136 centros de trata-

miento de hemofilia (HTC) europeos, que incluía preguntas abiertas sobre brechas de conocimiento y prioridades de investigación, incluyendo a 59 HTC de 12 países occidentales (WE) y 13 de Europa central/oriental (CEE). Menos de la mitad dirige una clínica conjunta (24 HTC, 42%). La mayoría de los centros sin una clínica conjunta tienen un obstetra (81%) y/o ginecólogo (75%) designado disponible para colaborar. En general, 18/54 (33 %) de los HTC europeos no ofrecen diagnóstico genético preimplantacional. La amniocentesis del tercer trimestre para guiar el manejo obstétrico está disponible en 28/54 HTC (52 %), menos frecuente en los países de ECO en comparación con los países de WE (5/17 frente a 23/37, p = 0,03). El 53 % de los HTC (28/53) informaron que solo entre el 0 % y el 25 % de las WBD consultan a un médico por sangrado menstrual abundante (SMA). Falta un algoritmo que gestione el HMB agudo en WBD en 22/53 (42%)

Principios europeos de atención para mujeres y niñas con trastornos hemorrágicos hereditarios Haemophilia, Volume: 27, Issue: 5, Pages: 837-847, First published: 03 August 2021, DOI: (10.1111/hae.14379)

98 www.lasalud.mx

Principios europeos de atención para mujeres y niñas con trastornos hemorrágicos hereditarios

Haemophilia, Volume: 27, Issue: 5, Pages: 837-847, First published: 03 August 2021, DOI: (10.1111/hae.14379)

HTC. Los principales vacíos de conocimiento e investigación informados son la falta de concienciación y educación sobre WBD entre pacientes y cuidadores, estrategias de diagnóstico óptimas y manejo multidisciplinario efectivo del embarazo y el sangrado menstrual anormal, con lo que se concluye que muchos HTC europeos carecen de clínicas conjuntas, diagnósticos prenatales y algoritmos para manejar el SMA agudo. HMB puede ser un problema subestimado. Esta encuesta destaca la necesidad de priorizar la mejora del conocimiento y la atención al paciente para WBD en toda Europa.12

Es de suma importancia continuar avanzando en el reconocimiento de las mujeres portadoras de hemofilia A y B, con respecto a la prevalencia en la población, el impacto de los niveles iniciales de factor VIII y IX y otras influencias en el fenotipo del sangrado y las necesidades de manejo clínico. Hallazgos recientes

informan que muchas mujeres portadoras de hemofilia corren el riesgo de sufrir un sangrado anormal, pero en la atención médica se sigue sin reconocerlas y sus síntomas de sangrado no se informan. Los niveles bajos de FVIII se asocian, de modo consistente, con sangrado clínico significativo y se correlacionan bien con la inactivación sesgada del cromosoma X (XCI). Lo que es más interesante, es la tendencia al sangrado también observada en algunas portadoras de hemofilia con niveles normales de factor VIII y IX, lo que requiere más investigación. Se necesitan estudios bien controlados que investiguen los niveles de FVIII y IX periparto y peri procedimientos y un tratamiento hemostático adecuado para esta blecer las pautas de manejo.13

Las mujeres portadoras pueden experimentar un impacto significativo en varios aspectos de sus vidas y, por lo tanto, requieren atención especializada especí-

fica para problemas reproductivos, que incluye asesoramiento genético, pruebas genéticas, diagnóstico y planificación prenatal, pruebas para recién nacidos y asesoramiento psicosocial.14

Las recomendaciones actuales de la Federación Mundial de Hemofilia, con respecto a las mujeres portadoras de hemofilia, dictan:

• Los portadores de hemofilia, independiente del nivel de factor, deben registrarse en un centro de tratamiento de hemofilia.14

• Las portadoras de hemofilia con niveles bajos de factor deben recibir el mismo tratamiento y manejo que los hombres con hemofilia.14

• Todas las mujeres de la familia inmediata (madre, hermana o hija) de una persona con hemofilia deben medirse los niveles de factor, en particular antes de cualquier procedimiento invasivo, parto o tan pronto como se presente cualquier síntoma de sangrado anormal.14

• En portadoras potenciales, el diagnóstico debe confirmarse mediante pruebas genéticas si están disponibles, ya que los niveles de factor pueden estar por encima de 50 UI/dL. 14

• En algunas portadoras, se pueden encontrar niveles consistentes con hemofilia moderada o incluso severa en las pruebas de nivel de factor como resultado de la lionización.14

• Todas las portadoras potenciales y obligados de hemofilia deben medirse los niveles de FVIII/FIX para establecer sus niveles de referencia antes de procedimientos importantes, cirugía o embarazo.

99 www.lasalud.mx

Con base a las Guías de práctica clínica, el ejemplo de los países europeos, del avance en la investigación e intervención en la población de mujeres con hemofilia y con base a la nueva nomenclatura establecida para ellas, es necesario que en nuestro país, México, se establezcan lineamientos claros y la puesta en marcha de la detección, diagnóstico oportuno en edades tempranas en la niñez y el adecuado abordaje y manejo de las niñas y mujeres con hemofilia, leve, moderada, severa y las portadoras sintomáticas y asintomáticas.

Observaciones

• El término “portador de hemofilia” (HC) subestima el sangrado, así como los síntomas en mujeres y niñas.• La

nueva nomenclatura de HC fue definida por expertos en hemofilia en consulta con grupos de defensa de pacientes.

• Las cinco nuevas categorías de HC son: hemofilia severa/ moderada/leve, HC sintomática y asintomática.

• Una nomenclatura clara y precisa mejorará el diagnóstico, gestión e investigación sobre HC.

• Nuestra tarea es mayúscula. Sin embargo, los retos nos hacen avanzar, por lo que, contando ya con herramientas para ello, es hora de abordar de manera adecuada y responsable a este grupo de pacientes que a nivel mundial ha sido minimizado, por años.

BIBLIOGRAFÍA.

1. James PD. Women and bleeding disorders: diagnostic challenges. Hematology Am Soc Hematol Educ Program. 2020 Dec 4;2020(1):547-552. doi: 10.1182/hematology.2020000140. PMID: 33275722; PMCID: PMC7727580.

2. Van Galen KPM, d’Oiron R, James P, Abdul-Kadir R, Kouides PA, Kulkarni R, Mahlangu JN, Othman M, Peyvandi F, Rotellini D, Winikoff R, Sidonio RF. A new hemophilia carrier nomenclature to define hemophilia in women and girls: Communication from the SSC of the ISTH. J Thromb Haemost. 2021 Aug;19(8):1883-1887. doi: 10.1111/jth.15397. PMID: 34327828; PMCID: PMC8361713.

3. Olsson A, Hellgren M, Berntorp E, Baghaei F. “Association between bleeding tendency and health-related quality of life in carriers of moderate and severe haemophilia”. Haemophilia. 2015 Nov;21(6):742-6. doi: 10.1111/hae.12796. Epub 2015 Sep 8. PMID: 26346645.

4. Young JE, Grabell J, Tuttle A, Bowman M, Hopman WM, Good D, Rydz N, Mahlangu JN, James PD. “Evaluation of the self-administered bleeding assessment tool (Self-BAT) in haemophilia carriers and correlations with quality of life”. Haemophilia. 2017 Nov;23(6):e536-e538. doi: 10.1111/hae.13354. Epub 2017 Sep 26. PMID: 28949433.

5. Miesbach W., Aalesci A., Geisen C. and Ooldenburg J. (2011), “Association between phenotype and genotype in carriers of haemophilia A”. Haemophilia, 17: 246-251. https://doi.org/10.1111 /j.1365-2516.2010.02426.

6. James, P.D., Mahlangu, J., Bidlingmaier, C., Mingot-Castellano, M.E., Chitlur, M., Fogarty, P.F., Cuker, A., Mancuso, M.E., Holme, P.A., Grabell, J., Satkunam, N., Hopman, W.M., Mathew, P. and (2016), “Evaluation of the utility of the ISTH-BAT in haemophilia carriers: a multinational study”. Haemophilia, 22: 912-918. https://doi.org/10.1111/hae.13089

7. Paroskie, A., Gailani, D., DeBaun, M.R. and Sidonio, R.F., Jr (2015), “A cross-sectional study of bleeding phenotype in haemophilia A carriers”. Br J Haematol, 170: 223-22.

8. Gilbert, L., Paroskie, A., Gailani, D., Debaun, M.R. and Sidonio, R.F. (2015), “Haemophilia A carriers experience reduced health-related quality of life”. Haemophilia, 21: 761-765. https://doi. org/10.1111/hae.12690

9. Garagiola I, Mortarino M, Siboni SM, Boscarino M, Mancuso ME, Biganzoli M, Santagostino E, Peyvandi F. “X Chromosome inactivation: a modifier of factor VIII and IX plasma levels and bleeding phenotype” in Haemophilia carriers. Eur J Hum Genet. 2021 Feb;29(2):241-249. doi: 10.1038/s41431-020-00742-4. Epub 2020 Oct 20. PMID: 33082527; PMCID: PMC7868370.

10. Tang GH, Norris E, Petrucci J, James PD, Lee A, Poon MC, Floros G, Boma-Fischer L, Teitel J, Nisenbaum R, Sholzberg M. Bone health in symptomatic carriers of haemophilia A: a protocol for a multicentre prospective matched-cohort study. BMJ Open. 2019 Dec 2;9(12):e032891. doi: 10.1136/bmjopen-2019-032891. PMID: 31796490; PMCID: PMC7003383.Torres-Ortuño A. Hemophilia carriers: quality of life and management at different life stages. Blood Coagul Fibrinolysis. 2020 Dec 1;31(1S):S12-S14. doi: 10.1097/MBC.0000000000000988. PMID: 33351496.

11. Torres-Ortuño A. Hemophilia carriers: “quality of life and management at different life stages. Blood Coagul Fibrinolysis”. 2020 Dec 1;31(1S):S12-S14. doi: 10.1097/MBC.0000000000000988. PMID: 33351496.

12. Van Galen KPM, Lavin M, Skouw-Rasmussen N, Ivanova E, Mauser-Bunschoten E, Punt M, Romana G, Elfvinge P, D’Oiron R, Abdul-Kadir R. “Clinical management of woman with bleeding disorders: A survey among European haemophilia treatment centres”. Haemophilia. 2020 Jul;26(4):657-662. doi: 10.1111/hae.14043. Epub 2020 May 27. PMID: 32459044; PMCID: PMC7497252.

13. Cygan PH, Kouides PA. “Regulation and importance of factor VIII levels” in hemophilia A carriers. Curr Opin Hematol. 2021 Sep 1;28(5):315-322. doi: 10.1097/MOH.0000000000000667. PMID: 34397591.

14. Srivastava A, Santagostino E, Dougall A, et al. WFH Guidelines for the Management of Hemophilia, 15. 3rd edition. Haemophilia. 2020: 26(Suppl 6): 1-158. https://doi.org/10.1111/hae.14046

100 www.lasalud.mx

Historias de Madres eXtraordinarias: conviviendo con la hemofilia

• En 2020 había 55,287 personas viviendo con hemofilia en América Latina; sin embargo, se estima que el total supera las 103,000.1

LaSalud.mx.- Un diagnóstico de hemofilia conlleva numerosos desafíos tanto para quien vive con la condición como para su familia. Es gracias a la constancia y fortaleza de las Madres eXtraordinarias de la comunidad, que sus hijos e hijas pueden llevar una vida plena y trabajar por hacer de sus sueños una realidad.

“Tuve que afrontar momentos de mucho dolor y sentimientos de culpa que se intensificaban cuando llegaba al hospital o a la escuela de mi hijo, y veía que todos se aterrorizaban de la condición”. Por muchos años, esta fue la cruda realidad de Adriana Angamarca, de Ecuador y madre de Adrián, con hemofilia A severa. Esta también es la realidad de 103,000 personas que se estima conviven con la condición en América Latina1, y que además de sentir temor a la hora del diagnóstico, deben afrontar estigmas a partir de la confirmación de esta enfermedad.

La hemofilia es un trastorno que dificulta la coagulación de la sangre, el cual puede ser hereditario o desarrollarse en cualquier etapa de la vida. Las personas diagnosticadas con la condición presentan hemorragias luego de lesiones (internas o externas) o cirugías, por lo que su cuidado es primordial y debe enfocarse en prevenir y priorizar el tratamiento profiláctico o preventivo, en caso de que se dé alguna situación desafortunada.

El alto desconocimiento sobre esta condición en América Latina ha llevado a estigmatizar a las personas que conviven con ella, especialmente a las mujeres portadoras que comparten el vínculo con sus hijos e hijas.

Sumado a ello, la hemofilia genera costos adicionales relacionados con su tratamiento y convivencia permanente, que pueden incrementar cuando no se tiene acceso a una atención integral. Sin embargo, a través de la educación y empoderamiento de la comunidad, se puede desarrollar el potencial necesario para involucrarse en acciones ciudadanas que deriven en mejores políticas públicas en sus países para contribuir en mayor escala a lograr una mejor atención integral

Ejemplo de ello son las Madres eXtraordinarias, una comunidad de madres portadoras de hemofilia. Si bien, las madres de esta comunidad afrontan etapas llenas de dificultades y sentimientos

negativos, estos son un motor para que ellas mismas se conviertan en líderes de grupos de apoyo que velan por los derechos y una mejor calidad de vida de las personas con hemofilia en sus países y en América Latina. Adriana, Blanca, Elizabeth y Olga hacen parte de este grupo de Madres eXtraordinarias, quienes demuestran su constante resiliencia, fortaleza y ganas de salir adelante por sus familias, además de impulsar esfuerzos para llevar una vida activa y productiva, donde les es posible trabajar por hacer de sus sueños realidad. Ellas son un ejemplo de que hoy es posible convivir con la condición, gracias a los avances en la medicina y a la unión de la comunidad de hemofilia.

Cuatro madres, cuatro historias eXtraordinarias

Blanca Corona – México: “Ahora podemos controlar la hemofilia, ya (la hemofilia) no nos controla”

101 www.lasalud.mx

A Blanca, madre de Emilio, de 10 años y con hemofilia, le tomó por sorpresa el diagnóstico de su hijo. Si bien la hemofilia es una condición prevalente en su familia, el caso de su hijo fue distinto. Emilio pasó por episodios de sangrado y situaciones de salud complicadas que alarmaron a la familia desde un inicio. Blanca se dio cuenta de que la condición de su hijo no era igual a lo que ella conocía y que él requería de mayor cuidado para salir adelante. Para Blanca, el acompañamiento del cuerpo médico, de su familia y de la comunidad ha sido clave para mantenerse informada y para que Emilio pueda llevar una vida productiva, minimizando los riesgos y practicando actividades y deportes como la natación. Así mismo, logró conseguir la atención domiciliaria para la entrega de medicamentos y tratamientos, lo cual le ha disminuido las visitas de sobre 20 veces al año a solo 4. Blanca, al contar con el apoyo de otras madres, encontró una luz y un camino a seguir, luego de verse obligada a suspender sus estudios universitarios para dedicarse al cuidado de su hijo. Sin embargo, gracias a mejoras en la atención y calidad, hoy día tiene el tiempo para graduarse como ingeniera ambiental. Ahora dice con una amplia sonrisa de satisfacción: “podemos controlar la hemofilia, ya ésta no nos controla y podemos unir esfuerzos para ampliar el foco en su educación. Es importante que las personas que viven con esta enfermedad sientan el apoyo nuestro, de darles alas y que tengan sueños por qué luchar y pueden llegar hasta donde quieran”. Blanca es una madre eXtraordinaria que se solidariza con madres que apenas comienzan este camino y las invita a que se acerquen a sus asociaciones locales para que conozcan más sobre la condición y tengan un panorama más amplio, y cambien el temor por la esperanza de que todo va a estar bien.

Olga Chica - Colombia: El reto de criar dos hijos con hemofilia

Con una prueba que determinó que no era portadora, el impactó del diagnóstico de hemofilia de su hijo Santiago fue desgarrador para Olga, quien vio crecer a su hermano con la condición, en una época donde el tratamiento era precario y las hospitalizaciones duraban varias semanas a causa de las hemorragias. Sin embargo, el apoyo psicológico y el de su esposo, la familia y los amigos fue definitivo para superar las dificultades y encontrar la ayuda de un hematólogo. Esto cambió su panorama por completo, y Olga se comprometió consigo misma a seguir aprendiendo e informándose sobre la hemofilia. De ahí, que el apoyo de la parte médica fue invaluable, por lo que tomaron la decisión de tener otro hijo. Cuando Olga dio a luz a su segundo hijo, Federico, quien a los seis meses de nacido fue diagnosticado con la misma condición, Olga y su familia se tomaron ese diagnóstico con serenidad porque ya tenían experiencia con Santiago. Ahora su reto era criar a dos hijos con hemofilia. Olga ha

sido una figura eXtraordinaria para que sus hijos pudieran salir adelante como adultos independientes, sin limitaciones y sin ser victimizados. Santiago, por ejemplo, pudo conseguir una beca para estudiar fuera del país y formarse como profesional. “Lo que han querido ser, eso han sido. Me siento orgullosa de ser una Madre eXtraordinaria por haber conseguido que mis hijos soñaran y tuvieran aspiraciones de lo que querían conseguir en sus vidas. Haberlos acompañado en ese camino, y sin que la condición se hubiera convertido en una limitación, me hace sentir aún más orgullosa porque puedo verlos hoy como hombres felices y agradecidos por los logros obtenidos inclusive dentro del mundo de la hemofilia.”

Adriana Angamarca - Ecuador: Madre eXtraordinaria en las buenas y en las malas

Adrián, de 10 años, fue el primer caso conocido de hemofilia en su familia, por lo que antes de su diagnóstico, su madre, Adriana, no había escuchado sobre la condición. Ante el diagnóstico, se vio expuesta a que en su ciudad de residencia no contaban con un hematólogo que tratara a personas con hemofilia, mientras que Adrián presentaba episodios de sangrado que requerían de atención de la mejor calidad por parte de especialistas. Esta situación, de desconocimiento sobre la condición, la llevó a afrontar dolorosos momentos y sentimientos de culpa, sobre todo al llegar al hospital o a la escuela de su hijo, y ver que todos se asombraban de su condición. Sin embargo, Adrián ha sido el héroe que la ha llevado a vivir experiencias únicas y a apalancarse de su positivismo y fortaleza como madre para

102 www.lasalud.mx

sobrellevar los desafíos. A lo que Adriana agrega, “Debe de haber más respeto y humanidad para tratar a las madres portadoras. Para ello se hace necesario educar a los profesionales de la salud y demás personas involucradas sobre la condición”. Luego de vivir años muy difíciles y ponerse en contacto con autoridades y organizaciones de gobierno en su país, ella logró conseguir la medicación para que Adrián y toda su familia puedan llevar una mejor calidad de vida a través de una atención integral. Adriana es una madre eXtraordinaria que ha hecho hasta lo imposible para darle a Adrián todo lo que ha necesitado.

Elizabeth Burgoa, Bolivia: Tres generaciones, una misma condición

La hemofilia estuvo presente en la vida de Elizabeth desde su niñez, por sus hermanos, quienes fallecieron por hemofilia. Al verse expuesta a la condición por tercera vez, ante el diagnóstico de su nieto Mateo, Elizabeth recordó las penas y el dolor por lo vivido con sus dos

hermanos. Eventualmente, Elizabeth halló consuelo y fuerzas al educarse e informarse más sobre la condición. “El poder de transmitir esa seguridad de que sí podemos salir adelante me llevó a aprender sobre la hemofilia”. Para Elizabeth, visibilizar la hemofilia con actores clave de la sociedad es esencial para que la comunidad sea reconocida y considerada. Su perseverancia, que la llevó a seguir trabajando por Mateo, también la llevó actuar y ayudar a más personas de la comunidad y a otras madres. Llegó a ser Presidente de la Asociación de la Hemofilia La Paz, donde ha podido ver de primera mano la realidad del panorama que viven las personas con hemofilia y trabajar porque tengan una mejor calidad de vida. “El diagnóstico oportuno puede evitar dolor y gastos. Educar al cuerpo médico es importante para que conozcan la patología entre equipos multidisciplinarios, garantizando una mejor calidad de atención a las personas con hemofilia”. Para Elizabeth, a las madres eXtraordinarias las une ese anhelo de que sus hijos e hijas puedan tener una vida segura y libre de dolor para cumplir sus sueños, continuar con sus estudios sin ser discriminados y hacer deporte, sin temor a correr y saltar. Elizabeth agrega que también es importante que las personas con hemofilia, “puedan acceder a los avances médicos”. Además, a través de la educación sobre la hemofilia y de concientizar y acompañar a otros, Elizabeth se ha empoderado para seguir liderando grupos de apoyo que buscan brindar una mejor calidad de vida para todas las personas con hemofilia en Bolivia y América Latina.

Acerca de Madres eXtraordinarias

Madres eXtraordinarias es una iniciativa impulsada por y para madres portadoras de hemofilia, con el apoyo de Roche América Latina y la guía de un comité de miembros de la comunidad relacionada con la condición, que tiene como objetivo empoderarlas para que puedan alcanzar una mejor calidad de vida para ellas y sus hijos e hijas, al tiempo que concientiza sobre la importancia de tener acceso a una atención integral.

103 www.lasalud.mx

TEMAS SELECTOS

PREMIO N ACIO NAL DE PERIODISM O 2013 2014 PREMIO INTERAMERICANO A IR E V I T A L 2013
PRÓXIMAMENTE

Destacado alumno con Hemofilia ganó la Olimpiada del Conocimiento Infantil 2022

Por:

Redacción

LaSalud.mx.- Luis Daniel Monroy Jiménez 13 años, forma parte de los ganadores en la Olimpiada del Conocimiento 2022 (segunda etapa) de la Ciudad de México. Un reconocimiento a la excelencia de niños y niñas de sexto de primaria, quienes realizan un examen de conocimientos generales sobre español, matemáticas; ciencias naturales, entre otras materias.

Así lo dio a conocer Betina Jiménez madre de Daniel, en una entrevista exclusiva con LaSalud.mx. Además de hablar del logro académico del menor, también abordó el tema de la hemofilia, padecimiento que le fue diagnosticado a Luis Daniel a los siete meses de nacido.

Durante su infancia, Luis Daniel también se convirtió en un ávido lector. Desde los cuatro años aprendió a leer y en tercero de primaria leyó 23 libros. En la actualidad también le gustan las matemáticas. Recientemente también ha logrado cumplir dos de sus mayores; participar en la Olimpiada del Conocimiento Infantil y estudiar en una escuela secundaria.

“La primera etapa de la Olimpiada que él ganó fue la de su escuela; posteriormente la prueba de zona. Su siguiente participación fue la de alcaldías, ahí quedó en el primer lugar de Miguel Hidalgo, Cuajimalpa, Cuauhtémoc y Magdalena Contreras”, explicó Betina Jiménez Hernández.

Aunque todos los alumnos de sexto de primaria pueden participar en esta actividad, no todos pasan a la siguiente etapa. “Luis Daniel tuvo que ser el mejor de su salón para poder representar a su escuela; el mejor de la misma, para representar a su zona y ser el mejor de todo Miguel Hidalgo, Cuajimalpa y otras alcaldías donde hay escuelas con alto prestigio y nivel académico. El resultado fue reflejo de su esfuerzo académico”, expresó Betina.

Así, Daniel obtuvo un diploma por ser el mejor estudiante de las alcaldías antes mencionadas. Pero lograrlo no fue fácil, sino que requirió de un trabajo arduo. Él y su madre se prepararon en casa, repasaron libros y utilizaron sus propios recursos, aquellos a los que recurren cuando la hemofilia se hace más

presente. El mantener comunicación con las y los profesores de la escuela, realizar las tareas atrasadas y estudiar, ha permitido que Luis Daniel alcanzara un rendimiento acorde a su edad y ganará la Olimpiada.

A pesar de que Luis Daniel cuenta con un tratamiento médico, hay veces que al salir de la escuela le duele el pie y no puede caminar, de modo que para recuperarse y rehabilitarse debe reposar en casa. En consecuencia, falta mucho a la escuela. Pero, su condición no le ha impedido ser un estudiante de excelencia.

Discriminación en el ámbito educativo

Betina relató también el momento en que una escuela rechazó la admisión de Luis Daniel debido a su enfermedad. “Me dijeron: ‘Esta no es escuela para su hijo, busque otra escuela’. Les dije: ‘¿Cómo no va a ser una escuela para mi hijo si no lo conocen?’. ‘Es que tiene una condición médica y nosotros no podemos trabajar con eso’ —contestaron. Eso es discriminación porque le negaron el derecho a mi hijo de recibir educación”.

Otra situación similar ocurrió cuando una maestra hacía bullying a Luis Danniel. Ella le dijo: “Tú te crees mucho porque te dan permiso de faltar, pero no sabes nada”. En palabras de Betina, la empatía es compleja, tanto que te pueden conceder todo sin exigir.

“Las escuelas tienen que recordar que los niños con condiciones médicas tienen derecho a una educación igual a la que reciben los que no tienen estas complicaciones”, afirmó Betina. El reconocimiento de Luis Daniel señala que un niño con hemofilia u otro padecimiento crónico es capaz de ser un alumno de excelencia.

Hemofilia, un padecimiento hereditario

Luis Daniel tiene hemofilia A grave, que representa alrededor del 80% de todos los casos y consiste en una deficiencia en el factor VIII de la coagulación. En la familia Jiménez existía un an-

105 www.lasalud.mx

tecedente de hemofilia: el abuelo de Betina tenía esta condición. Entonces “Mi mamá era una portadora obligada, sin embargo, “en mi familia directa no se dio. Mi hermano no tiene hemofilia, pero yo le transmití ese gen con hemofilia a mi hijo”, compartió Betina Jiménez.

“Al final del día, la genética no es como una receta de cocina, no vas a saber cuándo se presentará la mutación”, agregó. La incertidumbre es algo que estuvo presente para la madre de Daniel, puesto que portar el gen, no siempre significa que este vaya a detonar, así que “nosotros no estábamos seguros de si nuestro hijo iba a tener hemofilia o no. Cuando él estaba pequeño el pediatra sugirió que se le hiciera la circuncisión, por lo que pidió los estudios preoperatorios y sus TTPa (pruebas del tiempo de tromboplastina parcial activado), donde lo normal son resultados de 20 segundos. En Luis Daniel, el resultado fue de 120 segundos”.

Pese a ello, “los resultados no podían ser certeros porque Luis Daniel era un recién nacido y su sangre aún no podía revelar la ausencia de fac tor con claridad. Fue hasta los 7 meses que, por sugerencia médica, realizamos una segunda revisión para poder conseguir resultados más certeros”, relata Betina.

A pesar de tener un precedente familiar, Betina no estaba familiarizada con la enfermedad, “no sabía nada de hemofilia. Mi abuelo ya había fallecido y no tenía un referente del avance de la medicina en el campo de la enfermedad.

La labor de una cuidadora primaria

Betina Jiménez es, además de madre, la cuidadora primaria de Luis Daniel. Ella atiende, en primera instancia, las necesidades físicas y emocionales de su hijo. A veces, también es maestra debido a la necesidad de mantener a su hijo al corriente con sus tareas y materias.

“Yo, como cuidadora primaria, me convierto en extensión de la escuela, en facilitadora de conocimientos, aparte de mamá. Ambos repasamos la materia. Vamos leyendo, platicando. Esa es la parte más valiosa de todo esto”, pues existe el estigma de que los niños con algún padecimiento no pueden aspirar a la excelencia académica.

Por lo tanto, el reconocimiento de la Olimpiada del Conocimiento Infantil fue un trabajo en equipo de la familia y la escuela. Que requirió un esfuerzo mayor tras año y medio de pandemia en el que no hubo clases presenciales, pues incrementó el rezago educativo. La labor de Betina fue estimular a su hijo al decirle que no hay límites, pues “las limitaciones a veces las ponemos nosotros”.

Lo importante es que la comunidad con hemofilia sepa que, con trabajo, se pueden cumplir los sueños. Por ello, Betina los invita a que sueñen y que busquen la forma de alcanzar sus metas, aunque no sean exactamente como las querían. “Si quieres aventar la piedra del otro lado del río tírale a la luna, seguramente a la luna no llegas, pero al otro lado del río sí”.

106 www.lasalud.mx

Incapacita el dolor a las personas con hemofilia que no reciben el tratamiento adecuado

• Entre las complicaciones de la hemofilia, la degeneración articular, la pérdida de masa y fuerza muscular, así como un dolor atrofiante, representan algunas de las principales causas de discapacidad1.

• La infusión periódica de factores de la coagulación es fundamental para evitar hemorragias y dar a los pacientes la oportunidad de tener calidad de vida.

LaSalud.mx.- Una de las enfermedades que más dolor generan a quienes la padecen es la hemofilia, trastorno de la coagulación que causa hemorragias internas, principalmente en músculos y articulaciones2 Los pacientes sangran más tiempo cuando tienen una herida y en los casos severos pueden tener hemorragias espontáneas o posteriores a traumatismos leves, especialmente en rodillas, tobillos y codos.

En México, más de 6 mil 299 personas3 viven con hemofilia y otros desórdenes de la coagulación, y de acuerdo con la Federación Mundial de Hemofilia, en el mundo 75% de las personas con deficiencias de la coagulación no reciben tratamiento adecuado, lo que las pone en riesgo de sufrir lesiones articulares incapacitantes y muerte temprana4

La Dra. Angélica Licona, gerente médico de Enfermedades Raras para Novo Nordisk México, señaló que, entre las complicaciones de la hemofilia, la degeneración articular, la pérdida de masa y fuerza muscular, así como un dolor discapacitante, representan algunas de las principales causas de pérdida de la independencia del paciente.5 “La profilaxis o infusión periódica de concentrados de factor de coagulación es fundamental para evitar hemorragias y dar a los pacientes la oportunidad de tener calidad de vida.”

En México, se calcula que del 100% de las personas diagnosticadas con algún tipo de hemofilia, cerca del 70% presenta algún grado de daño articular a causa del nulo o ineficiente tratamiento que han recibido por años.6

Hemorragias articulares y musculares, las que más dolor causan

“Las hemorragias que más preocupan en un paciente con hemofilia son las que ponen en peligro su vida, como las que afectan al Sistema Nervioso Central, las gastrointestinales, las hemorragias en el cuello o garganta y las producidas por un traumatismo grave”, comentó la Dra. Licona.

“Pero tengamos en cuenta otro tipo de hemorragias, como las que afectan a las articulaciones, que constituyen un 70-80% de todas ellas y pueden provocar serias complicaciones en cuanto a dolor y movilidad, limitando así la posibilidad de realizar las actividades de la vida diaria”, advirtió la gerente médico de Enfermedades Raras de Novo Nordisk.7

En cuanto a la incidencia de hemorragias en las articulaciones, el 45% se dan en las rodillas, 30% en los codos, 15% en los tobillos, 3% en los hombros, 3% en las muñecas, 2% en las caderas y 2% en otras localizaciones.

107 www.lasalud.mx

La especialista explicó que: “una hemorragia provoca una serie de modificaciones físicas y químicas dentro de la articulación, las cuales hacen que la membrana sinovial se engrose (sinovitis aguda) y sea más propensa a sufrir más hemorragias. Si no se trata, se instaura un círculo vicioso, ya que la membrana sinovial sangrará más fácilmente cada vez, ocasionando el deterioro de la articulación, al que se denomina artropa tía hemofílica.”

“Este tipo de hemorragia se manifiesta con inflamación en la zona de la articulación, aumento del calor local y dolor agudo. El dolor producido por una hemorragia articular aumenta con la actividad física y mejora con el reposo y la administración de factor de la coagu lación necesario. Sin tratamiento, la articula ción se torna rígida, dolorosa e inestable, ante la pérdida de masa muscular y el debilitamiento de los músculos.”

“Por otro lado, tenemos a las hemorragias musculares, debido a las cuales el músculo se torna rígido y dolorido, lo que produce inflamación, calor y dolor al tacto. Si la hemo rragia es profunda y no se atien de a tiempo, puede tener efectos irreversibles”, señaló la Dra. Licona. Las hemorragias musculares suelen ocurrir en pantorrillas, antebrazo y caderas, y constituyen entre un 10% y un 20% de todas las hemorragias de una persona con hemofilia.8

Tratamiento del dolor en la hemofilia

El tratamiento hematológico (administración del factor de coagulación faltante) es una de las piezas clave en el abordaje de los problemas articulares y musculares en hemofilia. “El tratamiento más efectivo para prevenir una artropatía hemofílica es la profilaxis a través de la administración del factor”, indicó la Dra. Angélica Licona.

También señaló que para aliviar el dolor se recomienda al paciente estar en reposo, colocar bolsas de gel frío en la zona afectada y, bajo estricta supervisión médica, se pueden utilizar analgésicos y/o AINES (antiinflamatorios no esteroideos).

Informó que la fisioterapia también juega un papel muy importante en la prevención y tratamiento de la artropatía hemofílica y es parte integral del cuidado multidisciplinar de pacientes con hemofilia grave. Para mejorar la movilidad y recuperar tono muscular y fuerza, es importante realizar rutinas de ejercicios y/o alguna actividad deportiva.

“La natación es muy recomendable y no se aconsejan deportes que impliquen impacto sobre las articulaciones, como el futbol, atletismo, baloncesto o artes marciales, ya que pueden instaurar o incrementar el proceso degenerativo de la articulación.”

“La conmemoración del Día Mundial del Dolor, en octubre, es el marco idóneo para hacer un llamado a autoridades e instituciones de salud, organizaciones de pacientes y sociedad civil en general, a unir esfuerzos y garantizar el acceso oportuno al tratamiento profiláctico para las personas que viven con hemofilia”, concluyó la Dra. Licona.

Referencias

1. Villegas Alzate, Juan Diego; Martínez Sánchez, Lina María; Jaramillo, Laura Isabel. Calidad de vida: un aspecto olvidado en el paciente con hemofilia. Archivos de Medicina (Col), vol. 18, núm. 1, 2018 Universidad de Manizales, Colombia. Disponible en: http://www.redalyc.org/articulo.oa?id=273856494017

2. Federación de Hemofilia de la República Mexicana. Disponible en: https://hemofilia.org.mx/preguntas-frecuentes/

3. Federación de Hemofilia de la República Mexicana

4. Secretaría de Salud. Reporte sobre Hemofilia en México. http://www.hemofilia.org.mx/files/reporte-sobre-hemofilia-mexico.pdf

5. Villegas Alzate, Juan Diego; Martínez Sánchez, Lina María; Jaramillo, Laura Isabel. Calidad de vida: un aspecto olvidado en el paciente con hemofilia. Archivos de Medicina (Col), vol. 18, núm. 1, 2018 Universidad de Manizales, Colombia. Disponible en: http://www.redalyc.org/articulo.oa?id=273856494017

6. Secretaría de Salud. Reporte sobre Hemofilia en México. http://www.hemofilia.org.mx/files/reporte-sobre-hemofilia-mexico.pdf

7. Montalvo Martínez Raúl. Problemas articulares y musculares en hemofilia. Federación Española de Hemofilia. https://fedhemo.com/problemas-articulares-y-musculares-en-hemofilia/

8. Srivastava A, Santagostino E, Dougall A, et al. WFH Guidelines for the Management of Hemophilia, 3rd edition [published online ahead of print, 2020 Aug 3]. Haemophilia 2020; 10.1111/ hae.14046. doi:10.1111/hae.14046

108 www.lasalud.mx

Manejo ortopédico de la artropatía hemofílica en México

La hemofilia es una enfermedad hemorrágica hereditaria, caracterizada por la deficiencia funcional o cuantitativa del factor VIII (hemofilia A) o del factor IX (hemofilia B), defecto en los genes localizados en el brazo largo del cromosoma X. Clínicamente se manifiesta por hemorragias en músculos y articulaciones. Se calcula que 400 mil personas en todo el mundo viven con hemofilia, solamente el 25 % recibe un tratamiento adecuado. Se recomienda iniciar la profilaxis primaria en todas las personas con hemofilia severa desde los 2 años de edad a los 18 años para evitar sangrados musculares e intraarticulares causantes del desarrollo de la artropatía hemofílica que provoca discapacidad y deformidad severa a corta edad.

La hemofilia es un padecimiento de baja frecuencia, pero de alto impacto social: Con el fin de generar conciencia y lograr que los pacientes puedan lograr una buena calidad de vida, cum plir sus metas y expectativas, se necesita contar con los tratamientos adecuados. En la actualidad en México, de acuerdo al Registro Mexicano de Coagulopatías (RMC), hay 5,512 personas con hemofilia. Antes, la esperanza de vida de una persona con hemofilia era de 40 años de edad; hoy se ha contabilizado a 741 personas con hemofilia mayores de 50 años, lo que representa un 13.45 % de la población total. Por ello, es importante la formación de equipos multidisciplinarios para lograr dar un manejo integral en los pacientes con hemofilia.

El papel del cirujano ortopedista es tratar los problemas del aparato locomotor que los pacientes con hemofilia padecen; dentro del contexto de un equipo multidisciplinario múltiple, donde el liderazgo lo lleva el médico hematólogo. Esto es de gran importancia para lograr un tratamiento quirúrgico en el manejo de la artropatía hemofílica moderada a severa, mejorando la calidad de vida del paciente con hemofilia. En México inicia-

mos en el año 2008, aproximadamente, el manejo del paciente con artropatía hemofílica en el Hospital de Traumatología “Victorio de la Fuente Narváez” en conjunto con el banco de sangre del Hospital de la Raza.

Los problemas ortopédicos que sufren los pacientes con artropatía hemofílica que trata el cirujano ortopedista más frecuencia son: Sinovectomía artroscópica, Desbridamiento Artroscópico (limpieza articular por artroscopia) Alargamientos tendinosos (tendón de Aquiles), Osteotomías, Artrodesis, Pseudotumor hemofílico, Fracturas.

Sinovectomía artroscópica

Es una técnica que consiste en resecar la membrana sinovial inflamatoria que reviste a la cápsula articular y es la causante de las hemorragias articulares repetitivas provocando el daño del cartílago articular y las deformidades en etapas avanzadas. Es importante mencionar que esta técnica mínima invasiva debe realizarse por un cirujano ortopédico capacitado en artroscopia para lograr una resección completa de la membrana sinovial y que no exista daño importante aún del cartílago articular; se pueden realizar a cualquier edad cuando son requeridas como una opción terapéutica quirúrgica. Actualmente se realizan como cirugías ambulatorias o de corta estancia hospitalaria.

109 www.lasalud.mx
Por: Dr. Armando R. Hernández Salgado, Ortopedista y Traumatólogo, Cirujano de Artroscopia y Cirugía de Rodilla, Especialista en Artropatía Hemofílica, Asesor Voluntario de FHRM.

Es un procedimiento que realizamos en pacientes jóvenes con grados graves de artropatía hemofílica que presentan dolor al mover la articulación y a la marcha; con sangrados de repetición que radiográficamente son candidatos a realizar una artroplastia, pero demasiado jóvenes para esta indicación. Preferimos el desbridamiento artroscópico que es la limpieza artroscópica de una articulación con artropatía crónica que causa sangrados y dolor por la presencia de desgarros meniscales, osteofitos, lesiones condrales, cuerpos intraarticulares y sinovitis, además de artrofibrosis. Se realiza de forma bilateral o de dos articulaciones diferentes en un mismo evento quirúrgico (ya que contamos con el factor deficiente suficiente, difícil de contar con él en nuestro medio). Con lo que logramos aliviar el dolor y mejorar la movilidad de la articulación, siendo lo más importante para prologar por varios años la implantación de una prótesis.

Desbridamiento artroscópico más resección de la cabeza de la radio hipertrófica en codo

La articulación del codo es frecuentemente afectada por la artropatía hemofílica, causando desejes de la extremidad, limitación de la extensión y bloqueo para la pronosupinación por la hipertrofia de la cabeza del radio de la extremidad, además de dolor y discapacidad funcional. Por lo que realizamos un desbridamiento artroscópico liberando la articulación de osteofitos que bloquean la extensión así misma, reacción de la cabeza hipertrófica del radio con lo que *mejoramos de forma importante la prono-supinación de la extremidad*.

Alargamientos tendinosos (tendón de Aquiles)

Los alargamientos tendinosos que con mayor frecuencia realizamos es el *alargamiento en “Z” del tendón de Aquiles*, para corregir el equinismo del pie que presenta el paciente en ocasiones secundario a la contractura en flexión de la rodilla, y que requerimos en ocasiones al realizar una artroplastia total de rodilla y lograr un mejor resultado funcional de la extremidad a tratar.

Osteotomías

Las osteotomías son requeridas para *corregir quirúrgicamente desejes de alguna extremidad o una contractura* en flexión de la rodilla, que se pueden presentar durante todas las etapas de la vida secundarias a la artropatía hemofílica. En México realizamos la osteotomía en “V” invertida principalmente en niños con contractura en flexión con fijación con clavillos, para no dañar los discos de crecimiento, logrando una extensión completa de la extremidad afectada. La osteotomía femoral en adultos jóvenes (poco frecuente) también la realizamos manteniendo la corrección con material de osteosíntesis (placas y tornillos), además de las osteotomías con deformidades en valgo o varo que pueden presentar este tipo de pacientes.

110 www.lasalud.mx
Desbridamiento Artroscópico (limpieza articular por artroscopia)

Artrodesis

La artrodesis es una técnica quirúrgica en la que hay que resecar el cartílago patológico de las superficies distal y proximal, hasta llegar al hueso esponjoso. para fijar o fusionar y corregir un deseje de una articulación con el fin de quitar el dolor principalmente. Nosotros realizamos con mayor frecuencia la articulación de tobillo, realizándola una vez estudiado cada caso en particular, ya sea por vía artroscópica y/o fusionando con tornillos canulados cruzados en forma percutánea, en otras ocasiones se requiere sea abierta con fijación de la misma con material de osteosíntesis (placas con tornillos o clavos endomedulares). La Artrosis de rodilla solo la realizamos en fallos de aplicación de prótesis de rodilla, como último recurso, con fijadores externos o clavos endomedulares. La artrodesis de tobillo al momento sigue siendo mayormente indicada en la artropatía hemofílica, pero en los últimos años se han desarrollado prótesis de tobillo con buenos resultados, referidos en la literatura mundial que debemos tomar en cuenta actualmente.

Artroplastias (prótesis)

prótesis en un solo evento quirúrgico con lo que logramos menor tiempo quirúrgico, menor tiempo anestésico y aprovechamos el factor deficitario que en nuestro medio es difícil de conseguir, por lo cual aprovechamos y operamos dos o tres articulaciones a la vez, actualmente disminuimos el sangrado y las transfusiones sanguíneas con el uso de ácido tranexámico intravenoso e intraarticular y el dolor posoperatorio con el apoyo de la unidad de clínica del dolor. Los pacientes candidatos a prótesis de remplazo deberán seguir un protocolo consistente: Acudir a rehabilitación física previo al evento quirúrgico para mejorar su función articular y fortalecimiento músculo tendinoso. Esto con el fin de lograr una pronta movilidad de la prótesis y posterior a la cirugía, para dar continuidad a la misma y lograr mejores resultados funcionales.

Pseudotumor hemofílico

El pseudotumor hemofílico es un hematoma encapsulado de expansión destructiva, que ocasiona lesiones óseas o de tejidos blandos, y produce síntomas clínicos en relación a su localización anatómica con complicaciones neurovasculares. Se menciona que también es una complicación secundaria a un tratamiento hematológico inadecuado de los episodios de hemorragia. Incluso, también se llega a producir en pacientes con hemofilia moderada y en pacientes con inhibidor. Se presenta en 1-2 % de la población con hemofilia, el 25% de ellos tiene un antecedente traumático.

En el paciente adulto con artropatía hemofílica, las prótesis de rodilla y cadera son las más habituales en la ortopedia. El dolor y la incapacidad funcional que presentan son lo que decide la colocación de una prótesis. Nosotros realizamos (por falta de factor suficiente) cirugías de prótesis de rodilla en forma bilateral y simultáneamente, formando dos equipos quirúrgicos con habilidades quirúrgicas similares realizando la colocación de ambas

En el caso del tratamiento quirúrgico, mediante su vaciado y relleno con injerto óseo esponjoso o sintético (matriz ósea) y/o adhesivo de fibrina, la mayoría de los casos se solucionan con la extirpación quirúrgica radical (amputación).

La embolización arterial preoperatoria puede ser de ayuda en el pseudotumor. Principalmente en los que se localizan en zonas como la pelvis o de difícil acceso quirúrgico. Nosotros tenemos experiencia con pseudotumor de fémur distal secundario a fracturas con osteosíntesis, de fémur proximal y

111 www.lasalud.mx

de calcáneo con resultados poco halagadores que terminan con una cirugía radical e incluso la muerte. Algunos de estos pseudoautores pueden llegar a infectarse por lo que requieren tratamiento con antibióticos.

Fracturas

Las fracturas en los pacientes con hemofilia se presentan en todas las edades y pueden ser por diferentes causas: desde caídas en su domicilio, vía pública y escuela, hasta accidentes automovilísticos. Las fracturas de tratamiento conservador son las más comunes por fortuna en el paciente con hemofilia, siendo las de antebrazo y de mano. Las que requieren con mayor frecuencia tratamiento quirúrgico son las fracturas de cadera y fémur, tanto diafisarias y distales, las cuales se manejan con material de osteosíntesis como son placas con tornillos, clavos intramedulares y demás implantes según la región anatómica lesionada con buenos resultados. Las fracturas expuestas suelen presentarse en menor frecuencia manejándose de forma espe-

cial. Se debe tener especial cuidado con las fracturas de codo o antebrazo, sobre todo en niños, donde al colocar un yeso cerrado por el riesgo de producir un síndrome compartimental, por lo cual nosotros preferimos internarlos y mantenerlos en vigilancia estrecha de la circulación distal de la extremidad.

En conclusión, considero que el manejo ortopédico y traumatológico del paciente adulto joven con artropatía hemofílica deberá ser tratado en forma multidisciplinaria. En particular, por cirujanos ortopédicos capacitados en la artropatía hemofílica, así como contar siempre con la cantidad suficiente de factor para la cirugía hasta su rehabilitación total (si no se tiene, no realizar la cirugía), evitando realizar estas cirugías en fin de semana. Asimismo, los pacientes con hemofilia con afecciones como la inmunodeficiencia por VIH, hepatitis y con inhibidor pueden ser operados, siempre y cuando tengan un control adecuado por el hematólogo para evitar sangrados e infecciones en las dos primeras. En el caso de presentar inhibidor se debe contar con rFVIIa o FEIBA para controlar la hemostasia, nosotros preferimos para cirugías mayores el rFVIIa, pero debemos contar con ambos productos, dado que se han presentado casos de reacción alérgica.

Referencias

1. Horoszowski H, Heim M, Schulman S, Varon D, Martinowitz U. Multiple joint procedures in a single operative session on hemophilic patients. Clin Orthop 1996; 328:60-4. 5

2. Rodriguez-Merchan EC, Wiedel JD, Wallny T, et al. Elective orthopaedic surgery for inhibitors patients. Haemophilia 2003;9:625-31.

3. Rodriguez-Merchan EC, Wiedel JD, Wallny T, et al. Elective orthopaedic surgery for hemophilia patients with inhibitors: new opportunities. Sem Hematol 2004; 41 (Suppl. 1):109-16.

4. Rodriguez-Merchan EC, Rocino A, Ewenstein B, et al. Consensus perspectives on surgery in haemophilia patients with inhibitors: summary statement. Haemophilia 2004; 10 (Suppl. 2):50-2.

5. Quintana-Molina M, Martínez-Bahamonde F, González-García E, et al. Surgery in haemophilia patients with inhibitors: 20 years experience. Haemophilia 2004; 10 (Suppl. 2):30-40.

6. Mehta S, Nelson CL, Konkle BA, Vannozzi B. Total knee arthroplasty using recombinant factor VII in hemophilia-A patients with inhibitors. A report of three cases. J Bone Joint Surg Am 2004; 86-A:2519-21.

7. Eickhoff HH, Koch W, Raderschadt G, Brackmann HH. Arthroscopy for chronic hemophilic synovitis of the knee. Clin Orthop 1997; 343:58-62.

8. A. Hernández-Salgado, J. González-Martínez, O. JuárezMoreno, J. García Chávez, A. Gibraltar Conde. Usefulness of arthroscopic debridement in patients with chronic severe hemophilic arthropathy of the knee. Hematology & medicine, OJHM 1,11, 2021.

9. Tratamiento ortopédico del paciente con artropatía hemofílica, Dr. A. Hernández Salgado, Dr. J. González Martinez, Dr. B. Torres Fernández. Hospital de Traumatología Victorio de la fuente Narváez.

10. A. Hernández-Salgado, J. González-Martinez, Oscar Juárez Moreno. Simultaneous bilateral total knee prosthesis in patients with severe hemophilia with high response inhibitors. Hematology&medicine, OJHM volume 1 number 1. September 2021.

11. Benjamín

112 www.lasalud.mx
Joel Torres-Fernández, José Manuel Pérez-Atanasio, Jonathan Josué González Martínez, Armando Raúl Hernández-Salgado, Artroplastia total de rodilla bilateral simultánea Orthotips Vol. 14 No. 2 2018. Abr.-jun. 2018.
PREMIO NACIO NAL DE PE R I O D I S M O 2013 2014 PREMIO INTERAMERICANO A I R E V I T A L 2013
- Diciembre 2022
No. 124
Noviembre
Edición
PREMIO N ACIO NAL DE PE R IO D I S M O 2013 2014 PREMIO INTERAMERICANO A I R E V I T A L 2013 PRÓXIMAMENTE

Dr. Roberto Bernal, un ortopedista especializado en el tratamiento de los niños con Hemofilia

Por: Redacción

En entrevista exclusiva con motivo del 31° aniversario de la Federación de Hemofilia de la República Mexicana (FHRM), el Dr. Roberto Bernal nos comparte su experiencia en el área de la ortopedia pediátrica y sus inicios tratando a pacientes con hemofilia.

El especialista inició comentando su acercamiento a la medicina y la pasión que tuvo siempre por ella: “siempre decía que quería ser médico cuando me preguntaban a qué me iba a dedicar cuando fuera grande. Cuando terminé e hice el examen para la especialidad, escogí hacer la residencia en el Hospital Juárez y en el transcurso del primer año de residencia rotatoria (que era pasar por los servicios básicos de medicina como ginecología, pediatría, medicina interna...) estaba muy inclinado a ser cirujano plástico o neurólogo. Pero en ese año roté por el servicio de ortopedia y me gustó. Al final apliqué a una plaza de ortopedia y en esa misma sede hice mi especialidad”.

Después, “ingresé a trabajar en el Centro Médico Nacional (CMN) porque un profesor nos dijo que había plazas en el Ins-

tituto Mexicano del Seguro Social (IMSS) pero yo tenía la inquietud de hacer ortopedia pediátrica. Fui al Hospital Infantil de México para ingresar tenía que hacer la residencia en pediatría, luego especialidad en cirugía pediátrica y luego ortopedia pediátrica, eran 6 años”.

Por fortuna, “un amigo, el Dr. Alejandro de Artola, me recomendó ir al Hospital de Pediatría porque conocía al Jefe de Ortopedia Pediátrica. Llegué con el Dr. Héctor Peón Vidales y tras entrevistarme me aceptó en esa sede. Ya laborando me invitaron a ver a pacientes con hemofilia en la Clínica de Hemofilia porque necesitaban un ortopedista. Estaba en el Banco de Sangre y ahí fue el primer contacto con los pacientes hemofílicos en 1983”.

El tratamiento para niños hemofílicos

“En ortopedia pediátrica tenemos que manejar todas las lesiones porque no hay subespecialidades en cada una de las áreas como en el caso de los adultos. Excepto la de columna que se ha desarrollado aparte debido a la complejidad del tratamiento”.

115 www.lasalud.mx

El Dr. Bernal comentó que “los niños con hemofilia empiezan a tener los sangrados desde los primeros meses de nacimiento. La rodilla es la que se ve más fácilmente cuando presenta un mayor volumen y dolor, muchas veces, así descubren que el niño tiene el padecimiento”.

“En la rodilla se pueden aplicar muchos tratamientos, pero para evitar que haya sangrados en las articulaciones el hematólogo tiene que controlar perfectamente al paciente como ahora lo hacen con la profilaxis, que está dando muy buenos resultados en los niños, incluso recién nacidos. En ortopedia, los tratamientos van desde resolver el sangrado con medidas básicas como reposo, vendajes temporales, hielo; y una vez que se resuelven se aplica la rehabilitación para recuperar el movimiento de la articulación”.

“Cuando los sangrados no se pueden controlar hay caso de sinovitis crónica que es la inflamación permanente de la articulación porque ya no responde a los tratamientos del hematólogo ni a las terapias y eso favorece que el paciente sangre fácilmente hasta por caminar o por un golpe mínimo. Esto nos pone en alerta porque el paciente puede desarrollar artropatía hemofílica si no se logran controlar los sangrados y se aplican otros tratamientos”, detalló el especialista.

En estos casos, “una opción es hacer pulsiones para vaciar las articulaciones, quitar la sangre o administrar medicamentos antiinflamatorios que ayudan a que la sinovial de desinflame para que deje de sangrar. Algunos medicamentos pueden ser esteroides, oxitetraciclina o radioisótopos como itrio que van a detener la proliferación de la sinovial se desinflame para que no crezca y se detengan los sangrados”.

Sin embargo, “lo que más ha mejorado para tratar la sinovitis crónica son los medicamentos con radioisótopos que han tenido una respuesta muy adecuada en niños. Las artroscopias también han avanzado y se utilizan cuando no podemos detener los sangrados y hacemos procesos quirúrgicos. Esto último se evita porque hay riesgo de que el paciente pierda mucha movilidad a pesar de ser procedimientos cortos “.

“En los adultos también ha habido cambios para resolver las secuelas que va dejando la artropatía porque en un niño se presenta en la adolescencia y cada vez se han reducido los casos en adultos jóvenes. Esto se debe a que se administran los medicamentos adecuados a una edad temprana, al menos en la CDMX porque los pacientes que viven en otras ciudades pequeñas como los municipios de Oaxaca, Guerrero o Veracruz sigue habiendo pacientes con muchas afectaciones porque no pueden acceder al tratamiento de forma oportuna y cercana”, explicó.

“Otro aspecto muy importante es la rehabilitación que tampoco es fácil de tener porque un paciente que se opera y no tiene

seguridad social no tiene acceso a ella y si no existe es como si no hiciéramos nada porque, aunque tenga una prótesis muy moderna, sin rehabilitación no se va a recuperar”.

Las clínicas de hemofilia, necesarias para la atención integral

“Por eso se necesita la clínica de hemofilia porque hay que tener muchos especialistas. Pero tenerla en un hospital no es fácil porque hay muy pocas que trabajan perfectamente. Pertenecer a una de ellas es una labor altruista. Yo empecé en 1983, después por el terremoto me fui al Hospital de Ortopedia de Magdalena de las Salinas y me integré a la Clínica de la Raza por invitación de mi jefe el Dr. Salvador Beltrán que también iba ahí en 1986 y hasta el 2010 estuve trabajando con esos pacientes”, abundó el Dr. Bernal.

“Ya estoy jubilado, pero he seguido trabajando con los pacientes de hemofilia por invitación de la asociación o de la clínica dando cursos de manejo de pacientes con hemofilia y a los médicos”.

Por otro lado, el Dr. Bernal explicó que “las clínicas de hemofilia están coordinadas por asociaciones, por ejemplo, la Clínica de La Raza trabaja con la asociación del Estado de México y ahí llegan los directivos a ver a los médicos y solicitar apoyo para los pacientes. Si no son derechohabientes, se atienden en el Hospital General o en el Hospital Juárez y la asociación es la que se encarga de integrar a todos los pacientes”.

Uno de los momentos más satisfactorios en la trayectoria del Dr. Bernal fue “un trabajo que ha sido mi mayor reto porque aplicábamos un tratamiento en las articulaciones de los niños con el medicamento de oxitetraciclina ( Terramicina , su nombre comercial) para “quemar” la sinovial y evitar la proliferación del sangrado. Fue un trabajo que nació de un grupo de médicos de América Latina que se hizo con el Dr. Federico Fernández Palazzi, que ya falleció. Fue un trabajo de 5 años y de hacer el seguimiento de los pacientes gracias a las trabajadoras sociales y su organización; así como las asociaciones que tienen toda la información. Eso nos permitió tener un resultado y al final lo publicamos en la Hemofilia Journal en enero de 2011”.

Otra gran “satisfacción es haber tenido la oportunidad de tratar a los pacientes porque la FHRM trabaja con mucho deseo de apoyarse porque son dirigidas por los mismos pacientes o sus familiares. Sus congresos y cursos con geniales porque ahí les damos platicas a los pacientes y hay algunos que saben más que muchos médicos cuando van empezando. Si tuviera la oportunidad de volver a participar con ellos lo haría con todo gusto. Me gustaría que me recordaran como un amigo que estuvo con ellos atendiéndolos”, finalizó.

116 www.lasalud.mx

Tratamiento oportuno evita lesiones incapacitantes y reduce riesgo de fallecimiento por Hemofilia

Por: Redacción

LaSalud.mx.- Se estima que 75% de las personas que padecen hemofilia no acude a solicitar atención médica oportuna al desconocer que vive con el padecimiento, y en otros casos reciben tratamiento inadecuado, lo que predispone a sufrir lesiones articulares incapacitantes e incluso a fallecer, advirtió la hematóloga del Instituto Nacional de Pediatría (INP), María de Lourdes González Pedroza

La especialista destacó la importancia de la detección y atención oportuna de esta enfermedad incurable, cuyo síntoma principal es el sangrado frecuente sin causa aparente, que afecta exclusivamente a los hombres, ya que está ligada al cromosoma X. Las mujeres solo son portadoras y transmisoras en el caso de las madres.

La hemofilia se caracteriza por una alteración en la coagulación, lo que ocasiona hemorragias cuando se produce una herida o incluso de forma espontánea en cualquier parte del cuerpo, incluyendo el cerebro; sobre todo, en articulaciones como codos, tobillos y rodillas.

Los primeros sangrados se presentan habitualmente en las rodillas a los 10 meses de edad, debido a que las niñas y los niños comienzan a gatear. Si eso ocurre, se debe solicitar atención médica de inmediato.

En México, más de cinco mil personas padecen esta enfermedad y más de mil

madres pueden transmitirla a sus hijas e hijos. Se estima que 70% de los casos es hereditario; el resto no tiene antecedentes familiares, por lo que se considera un padecimiento raro que se presenta en uno de cada 10 mil varones vivos.

dos en articulaciones. Además, se capacita a familiares y pacientes sobre los cuidados y la aplicación del tratamiento en sus hogares.

Las personas reciben tratamiento eficaz contra el sangrado, mediante factores de coagulación derivados del plasma humano con doble método de inactivación viral o factores recombinantes que se aplican vía intravenosa, lo cual puede ser a demanda o en profilaxis, administrando factor VIII o IX, dependiendo del tipo de hemofilia 1 a 3 veces por semana.

González Pedroza explicó que el hijo varón de una mujer portadora de hemofilia tiene 50% de probabilidad de padecer la enfermedad; y la hija tiene 50% de probabilidad de ser portadora, como su madre.

La especialista del INP informó que existen dos tipos de hemofilia: la A, que se identifica en una de cada 30 mil personas recién nacidas vivas; y la B, en una de cada 50 mil.

La hematóloga del Instituto Nacional de Pediatría aseguró que la institución brinda atención médica integral con la participación de especialistas en psiquiatría, psicología, oftalmología, ortopedia y, sobre todo, rehabilitación, para disminuir las secuelas que dejan los sangra-

Agregó que también se realizan estudios de genética a madres y padres y se les informa que siempre existe el riesgo de que todas sus hijas e hijos hereden la enfermedad, por lo que se recomienda la planificación familiar.

González Pedroza hizo hincapié en la necesidad de la prevención y detección oportuna desde la medicina general para que las personas con esta enfermedad sean referidas a la atención especializada de forma oportuna.

Añadió que el diagnóstico se sospecha por clínica hemorrágica y se detecta a través de pruebas de coagulación y cuantificación del factor VIII o IX de la coagulación en sangre.

117 www.lasalud.mx

el tratamiento definitivo de los

hemofílicos

Por: Dr. Guillermo Capetillo Morales, Médico Traumatólogo Ortopedista.

dilla. Concluí que la arteria genicular media lleva la sangre al tejido sinovial y, por ello, es la causante de los sangrados de las rodillas en los pacientes hemofílicos. Al ocluir esta arteria, ya no existe sangrado en los hemofílicos. En cooperación con el Cirujano Vascular Juan Antonio Nemer del Campo, realizamos varios eventos de embolización en la arteria genicular en pacientes hemofílicos, obteniendo resultados satisfactorios: los pacientes

intervenidos no presentaron nuevos sangrados y recuperaron su funcionalidad y actividades normales.

Esta técnica fue presentada en el Congreso Mundial de Hemofilia, realizado en Tailandia. Posteriormente, se presentó en los diferentes países donde se ha llevado a cabo el Congreso y, hoy en día, es una técnica utilizada en varios países de Europa y Estados Unidos.

Para el tratamiento de los sangrados de las rodillas en pacientes hemofílicos se han utilizado diferentes técnicas, como Sinovectomía quirúrgica (SQ), procedimiento traumático y con peligro para la vida del paciente.

En Estados Unidos y Europa se utilizan las aplicaciones o infiltración en la rodilla de un medicamento radioactivo. Esto requiere instalaciones muy específicas y especializadas para el manejo de materiales radioactivos, además del material radioactivo para destruir el tejido sinovial (que es el que produce el sangrado). Afecta el cartílago articular, produciendo artrosis y rigidez de las rodillas. En ocasiones el producto radioactivo emigra a otras articulaciones produciendo su destrucción.

En mi experiencia como catedrático de anatomía, realicé estudios de las arterias que irrigan la articulación de la ro-

118 www.lasalud.mx
Embolización de la arteria genicular media para
sangrados en las rodillas de pacientes

El CSG publica Protocolo Técnico de Atención para las personas con Hemofilia

Por: Redacción

LaSalud.mx.- El Consejo de Salubridad General (CSG) publicó en su página la actualización del Protocolo Técnico de Atención de Hemofilia con clave (PT053), en el que se detallan las intervenciones y tratamientos asociados a las enfermedades que ocasionan gastos catastróficos, como es el caso de la Hemofilia. En esta actualización se incluyen tratamientos para las personas adultas, por primera vez, lo cual constituye un avance hacia la cobertura universal.

El protocolo funciona como base para la atención de las personas que no cuentan con seguridad social, es decir, todas aquellas que se atienden en el Instituto de Salud para el Bienestar (INSABI), en Institutos Nacionales de Salud, y Hospitales de Alta Especialidad, los cuales deberán indicar los requerimientos de insumos y medicamentos necesarios con base en este nuevo protocolo. En tanto que Insabi deberá contemplar en su planeación el financiamiento necesario para su implementación, y para la eliminación efectiva de barreras de edad.

La hemofilia es un padecimiento de baja prevalencia, pero de alto impacto social, por lo que es importante que estas personas cuenten con los tratamientos óptimos para alcanzar una mejor expectativa de vida con calidad.

“La publicación del protocolo es una muy buena noticia que beneficiará a las personas con trastornos de la coagulación, al

ofrecerles los tratamientos de última generación y ampliación en la profilaxis. Reconocemos al CSG, al Centro Nacional de la Transfusión Sanguínea (CNTS) y a todos los médicos que participaron, por todo el trabajo que han venido haciendo desde 2020 y que ahora se ve reflejado en esta publicación, en la que tuvimos el gusto de colaborar como federación a través de nuestro Consejo Médico”, señaló Minerva Cruz, Presidenta de la Mesa Directiva de la Federación de Hemofilia en la República Mexicana A. C.

En México, la FHRM cuenta con un registro de 5 mil 886 personas con hemofilia, de las cuales alrededor del 33% son personas sin seguridad social, que se atienden en instituciones del INSABI-CCINSHAE, y que serían los principales beneficiarios de este nuevo protocolo.

Para finalizar, Minerva Cruz, agregó: “Poder contar con atención y tratamientos adecuados y homologados para todas las personas con hemofilia que no cuentan con seguridad social es un gran avance que les beneficiará enormemente. Ahora toca a la comunidad médica y a las instituciones de salud, incluyendo las de seguridad social, adoptarlo. Y a nosotros conocerlo y difundirlo para que este protocolo sea el estándar de atención y cuidado de la salud de las personas que viven con hemofilia en México”.

119 www.lasalud.mx
congresohp.org 555 818 1118

La lucha contra las Enfermedades Raras es de todos los días

Por: Redacción

LaSalud.mx.- De acuerdo con la Organización Mundial de la Salud (OMS), las enfermedades raras son aquellas que se presentan en menos de cinco personas por cada 10 mil habitantes, y existen más de 7 mil enfermedades aproximadamente en esta clasificación a nivel mundial.

Se cree que en el mundo hay más de 350 millones de personas que viven con alguna condición de salud considerada rara; 72% de estas condiciones son de origen genético, 70% inician en la niñez y 95% de estas condiciones no tienen opciones de tratamiento.

En México se reconocen 20 enfermedades raras, como el Síndrome de Turner, Enfermedad de Pompe, Hemofilia, Espina Bífida, Fibrosis Quística, Histiocitosis, Hipotiroidismo Congénito, Fenilcetonuria, Galactosemia, Enfermedad de Gaucher Tipo 1, 2 y 3, Enfermedad de Fabry, Hiperplasia Suprarrenal Congénita, Homocistinuria, entre otras.

De acuerdo con la Dra. Angélica Licona Sanabria, Gerente Médico Senior de la Unidad de Enfermedades Raras de Novo Nordisk, “el retraso en el diagnóstico de las personas con enfermedades raras es un desafío clave; 1 de cada 4 personas espera entre cinco y 30 años para un diagnóstico en el mundo, lo cual resulta muy preocupante, ya que el impacto de un diagnóstico tardío puede conllevar a una progresión irreversible de la enfermedad e intervenciones innecesarias, que ponen a los pacientes en un riesgo innecesario”.

En Novo Nordisk, “estamos convencidos de que toda persona tiene derecho a una buena salud, a un diagnóstico y atención oportunos. Nuestra herencia de más de 90 años, a nivel mundial, en

investigación en enfermedades raras, trastornos sanguíneos y endocrinos, nos coloca en una posición perfecta para impulsar la innovación y con ello, disminuir el impacto fisiológico, emocional, social y económico que este tipo de enfermedades conllevan,” agregó la especialista.

Por su parte, el Dr. Mike Vivas, Director Médico de Novo Nordisk, expresó que Novo Nordisk está enfocando sus esfuerzos en innovación de tratamientos para seis tipos de enfermedades raras.

“Estamos aprovechando las sinergias existentes entre las áreas terapéuticas que actualmente manejamos para ingresar al campo de estudio de seis enfermedades raras cuidadosamente seleccionadas. Vamos más allá de la innovación de medicamentos para ofrecer soluciones terapéuticas integradas que redefinan el viaje del paciente desde el momento del diagnóstico hasta el manejo de la afección, con miras a que un día tengamos la cura”.

Hemofilia y hormona de crecimiento, apuesta por la calidad de vida

Para el tratamiento de la hemofilia, “hemos aplicado amplios y estrictos procesos de investigación y desarrollo para producir medicamentos de alta calidad para transformar la vida de nuestros pacientes. Actualmente, atendemos a personas con hemofilia en 101 países y personas con deficiencia de la hormona del crecimiento en más de 98 países”, explicó la Dra. Licona.

Aprobado por primera vez el 28 de diciembre de 1995, “nuestro factor VII, ha sido utilizado en más de 12 mil pacientes por año, con hemofilia congénita,

con inhibidores de los factores VIII o IX de coagulación, hemofilia adquirida, con deficiencia del Factor VII y con trombastenia de Glanzmann”.

Respecto al factor VIII recombinante de Novo Nordisk, la Dra. Licona explicó que es el factor “con la investigación más robusta que comprendió 12 ensayos clínicos. Ha sido aprobado en 75 países, incluyendo la Unión Europea, Estados Unidos y Japón. Además, en México está aprobado para tratamiento y profilaxis de hemorragias en pacientes con hemofilia A congénita del Factor VIII de coagulación”.

Respecto al déficit de hormona de crecimiento, en México, de acuerdo con ENSANUT 2019, 13.9 de cada 100 niños menores a 5 años presentan síndrome de talla baja ocasionado por este déficit, por ello para Novo Nordisk el compromiso por combatir este déficit y que todos los niños alcancen una estatura adecuada es de gran relevancia.

“Nuestra hormona de crecimiento fue aprobada en 1988 y desde ese momento, más de 2 millones de pacientes han sido tratados con excelentes resultados y seguridad, logrando un impacto emocional totalmente positivo en cada uno de ellos”, explicó la Gerente Médico Senior de Enfermedades Raras de Novo Nordisk.

“Nuestro compromiso con las enfermedades crónicas está en el ADN de Novo Nordisk, desde la diabetes hasta la hemofilia, ya que los pacientes son el centro y el corazón de todo lo que hacemos,” concluyó el Dr. Mike Vivas.

122 www.lasalud.mx

Inauguran Clínica de Hemodiálisis en Guerrero

Se trata de la primera clínica en su tipo que brinda atención gratuita a personas que no cuentan con seguridad social.

Por: Redacción

LaSalud.mx.- El Estado de Guerrero cuenta con la primera Clínica de Hemodiálisis gratuita para personas sin seguridad social. En las últimas semanas ha atendido 114 pacientes y brindado 63 sesiones de diálisis por día, es decir, 441 consultas a la semana.

Jorge Alcocer Varela, Secretario de Salud, entregó al Director General del Hospital IMSS-Bienestar Renacimiento, Zeferino Ayala Molina, la licencia sanitaria para el funcionamiento de la clínica; la cual fue emitida por la Comisión Federal para la Protección contra Riesgos Sanitarios (Cofepris).

Zoé Robledo, Director General del Instituto Mexicano de Seguridad Social (Imss) informó que el nuevo hospital de la entidad cuenta con una inversión de mil 10 millones de pesos

para infraestructura, equipamiento, mantenimiento y plantillas de personal.

La Gobernadora de Guerrero, Evelyn Salgado Pineda, indicó que la Clínica de Hemodiálisis tuvo una inversión por parte del Instituto de Salud para el Bienestar (Insabi), de más de 56 millones de pesos para obtener 21 equipos para hemodializar. Asimismo, de la mano del Gobierno de México, se han intervenido más de 175 centros de salud en las ocho regiones de la entidad.

Esto sucedió durante una ceremonia que tuvo lugar tras el recorrido de supervisión por el Hospital IMSS-Bienestar “Renacimiento”, en el que también participó el Presidente de la República Mexicana, Andrés Manuel López Obrador

124 www.lasalud.mx

DICIEMBRE

Mes de la Lucha Contra el VIH

Concientización,prevención,detección, diagnósticoytratamiento d e VIH

EDICIÓN ESPECIAL
PRÓXIMA
126 www.lasalud.mx 7 9 ww w.l a s a l u d m x Nuestros S ervicios 2013-2014 PREMIO NACIONAL DE PERIODISMO “CLUB PERIODISTAS DE MÉXICO” 2013 PREMIO INTERAMERICANO “AIRE VITAL” Grupo Editorial Mundo De Hoy 32 años de experiencia profesional nos respalda #EstamosEnLasMejoresManos

Todo sobre la terapia que promete curar la Hemofilia B

Por: Redacción

LaSalud.mx.- De acuerdo con un estudio publicado en la revista New England Journal of Medicine, una terapia logró curar a pacientes con hemofilia B al corregir un defecto genético que impide la coagulación que normalmente detiene un sangrado. El equipo médico que llevó a cabo la investigación asegura que la mayoría de los adultos con hemofilia podrían curarse en los próximos tres años.

La hemofilia B es un trastorno hemorrágico hereditario causado por una falta del factor IX de coagulación de la sangre. Sin suficiente cantidad de este factor, la sangre no se puede coagular apropiadamente para controlar el sangrado.

Los participantes del estudio recibieron un virus mediante ingeniería genética para la elaboración de factor IX. Esto actuó como un cartero microscópico que entregó las instrucciones al hígado para producir la proteína de coagulación

Fue una infusión única por goteo que tardó aproximadamente una hora. Tras lo cual, la cantidad de factor IX en sangre pasó de solo el 1% en la mayoría de los participantes, a niveles normales.

Nueve de los 10 pacientes que recibieron la terapia génica durante el ensayo ya no necesitaron inyecciones de factor IX de coagulación.

Los estudios sugieren que el efecto de esta terapia durará al menos una década, pero se sabe con certeza. Y se espera que esta terapia sea una opción para los menores de 12 años en adelante.

“Estos datos iniciales son prometedores, pero continuamos monitoreando de cerca y con cautela los ensayos de terapia génica, como con todos los tratamientos nuevos”, señaló Clive Smith, Presidente de la Sociedad Británica de Hemofilia, Haemophilia Society.

“Si se demuestra que esos tratamientos son seguros y efectivos, el Instituto Nacional para la Excelencia en Salud y Atención, NICE por sus siglas en inglés (el organismo que aprueba medicamentos y tratamientos en Reino Unido), y el Servicio Nacional de Salud, el NHS, deben trabajar juntos para que estos tratamientos innovadores estén disponibles”.

127 www.lasalud.mx

Se complace en felicitar a la Federación de Hemofilia de la República Mexicana (FHRM) por su 31 aniversario. Gracias por su honorable labor ¡Enhorabuena!

En Pfizer estamos comprometidos en seguir brindando terapias innovadoras para los pacientes con Hemofilia y las diferentes enfermedades raras en la población mexicana.

Turn static files into dynamic content formats.

Create a flipbook
Issuu converts static files into: digital portfolios, online yearbooks, online catalogs, digital photo albums and more. Sign up and create your flipbook.