w-VM_Sep_p1_p57

Page 1


*๋ฐธ๋ฆฌ๋งค๊ฑฐ์ง„์—์„œ ์ œ์ž‘ํ•œ ๋ชจ๋“  ๊ด‘๊ณ  ๋””์ž์ธ์€ ๋ฐธ๋ฆฌ๋งค๊ฑฐ์ง„์˜ Written Permission์—†์ด ์–ด๋– ํ•œ ์šฉ๋„๋กœ๋„ ๋‹ค๋ฅธ๊ณณ์— ๋ฌด๋‹จ์œผ๋กœ ์‚ฌ์šฉ๋  ์ˆ˜ ์—†์Šต๋‹ˆ๋‹ค.

*๋ฐธ๋ฆฌ๋งค๊ฑฐ์ง„์— ๊ฒŒ์žฌ๋œ ๋ชจ๋“  ๊ด‘๊ณ ๋Š” ๊ด‘๊ณ ์ฃผ์˜ ์š”์ฒญ๋Œ€๋กœ ๊ฒŒ์žฌํ•œ ๊ฒƒ์ด๋ฏ€๋กœ ๋‚ด์šฉ์˜

์ง„์œ„ ์—ฌ๋ถ€์— ๋Œ€ํ•ด ๋ณธ์‚ฌ๊ฐ€ ์ฑ…์ž„์ง€์ง€ ์•Š์Šต๋‹ˆ๋‹ค.

*๋ฐธ๋ฆฌ๋งค๊ฑฐ์ง„์€ ๋ฌธ์ œ์„ฑ์žˆ๋Š” ๊ด‘๊ณ ๋‚˜ ๊ธฐ์‚ฌ ๊ฒŒ์žฌ๋ฅผ ๊ฑฐ๋ถ€ํ•  ์ˆ˜ ์žˆ์Šต๋‹ˆ๋‹ค.

Northern LA Media, Inc. Valley Magazine

P.O. BOX 372382, Reseda, CA 91337 valleymagazine@gmail.com www.valleymagazine.us

CONTENTS

- ํ•จ๊ป˜ ๋งŒ๋“œ์‹  ๋ถ„๋“ค -

๊น€์šฉ ํ•œ์šธ๋ชจ์ž„๋Œ€ํ‘œ

๋ฐ๋ณด๋ผ ํ™ ๋ณ€ํ˜ธ์‚ฌ

๋ฐฑ๋™ํ  ํž๋ง๊ตํšŒ ๋‹ด์ž„๋ชฉ์‚ฌ

๋ฒจ์ • ์—๋“€ ์ŠคํŠœ๋””์˜ค ์›์žฅ

์ƒค๋ก  ์œค ๋ณ€ํ˜ธ์‚ฌ

์†Œํ”ผ์•„ ์–‘ ๋ถ€๋™์‚ฐ

์ˆ˜์ž” ๊น€ ๋ฒ ์ŠคํŠธ๋ถ€๋™์‚ฐ๋Œ€ํ‘œ

์•ค์ง€ ๊น€ ํผํŽ™ํŠธ์Šค์ฝ”์–ด ์•„์นด๋ฐ๋ฏธ ์›์žฅ

์•จ๋ฒ„ํŠธ ์˜ค ๋กœ์–„ ์—๋“€์ผ€์ด์…˜ ๋””๋ ‰ํ„ฐ

์—”์ ค๋ผ ์žฅ ๋ณดํ—˜

์œค๋ฏธ์˜ ๋กœ์ฆˆ๋ชฌํŠธ ์น˜๊ณผ์›์žฅ

์ด์ค€์šฐ ๋ฐธ๋ฆฌ์ปค๋ฎค๋‹ˆํ‹ฐ๊ตํšŒ ๋‹ด์ž„๋ชฉ์‚ฌ

์ด์ฒœ ์ƒˆ๊ฐ€๋‚˜์•ˆ ์žฅ๋กœ๊ตํšŒ ๋‹ด์ž„๋ชฉ์‚ฌ

์ดํ•œ์ฃผ ๋ณดํ—˜

John Yang ์˜ฅ์Šคํผ๋“œํ•™์›์›์žฅ

์กฐ์•ค ํ™ ๋ณดํ—˜

์ง€์ƒ๋ฌธ ๋…์ž

www.valleymagazine.us

๊ด‘๊ณ ๋ฌธ์˜ : 818. 439. 9289 / valleymagazine@gmail.com

Publisher: Brian Hong Editor in Chief: Eunice Hong

๊ทธ๋ผ๋‚˜๋‹ค ํž์Šค์™€ ํฌํ„ฐ ๋žœ์น˜ ์ง€์—ญ, ๋“์ธ ๋ฌผ ์‚ฌ์šฉ ๋ช…๋ น ํ•ด์ œ

๊ทธ๋ผ๋‚˜๋‹ค ํž์Šค์™€ ํฌํ„ฐ๋žœ์น˜ ์ง€์—ญ์— ์•ˆ์ „ํ•˜๊ฒŒ

๋งˆ์‹ค ์ˆ˜ ์žˆ๋Š” ๋ฌผ์ด ๋‹ค์‹œ ๊ณต๊ธ‰๋˜๊ณ  ์žˆ๋‹ค.

์ƒŒํผ๋‚œ๋„ ๋ฐธ๋ฆฌ ์ง€์—ญ์˜ ์ˆ˜๋—๋ฌผ์€ 8์›” 13์ผ ์‹

์ˆ˜๋กœ ์•ˆ์ „ํ•˜๋‹ค๊ณ  ์„ ์–ธ๋˜์—ˆ์œผ๋ฉฐ, 9,200๋ช… ์ด์ƒ

์˜ ๋กœ์Šค์•ค์ ค๋ ˆ์Šค ์ˆ˜๋„์ „๋ ฅ๊ตญ(LAWDP) ๊ณ ๊ฐ์—

๊ฒŒ ์˜ํ–ฅ์„ ๋ฏธ์ณค๋˜ ๋“์ธ ๋ฌผ ์‚ฌ์šฉ ๋ช…๋ น์ด ๋งˆ์นจ๋‚ด

ํ•ด์ œ๋˜์—ˆ๋‹ค. DWP์— ๋”ฐ๋ฅด๋ฉด, ํ•ด๋‹น ๋ฌผ์€ "์บ˜๋ฆฌ

ํฌ๋‹ˆ์•„ ์‹์ˆ˜๊ตญ์˜ ์—„๊ฒฉํ•œ ๊ฒ€์‚ฌ ๋ฐ ์ˆ˜์งˆ ๊ฒฐ๊ณผ ๋ณด

๊ณ "๋ฅผ ๊ฑฐ์ณ ์•ˆ์ „ํ•˜๋‹ค๊ณ  ์„ ์–ธ๋˜์—ˆ๋‹ค.

์ง€ํ•˜ ๋ฐธ๋ธŒ์˜ ๊ธด๊ธ‰ ์ˆ˜๋ฆฌ๋กœ ์ธํ•ด ์•ฝ ์ผ์ฃผ์ผ ๋™์•ˆ

๋‹จ์ˆ˜๋˜์—ˆ๋˜ ์ˆ˜๋—๋ฌผ์€ ์ง€๋‚œ 8์›” 11์ผ์— ์™„์ „ํžˆ

๋ณต๊ตฌ๋˜์—ˆ๊ณ  ์ฃผ๋ฏผ๋“ค์€ ์ƒค์›Œ, ๋ณ€๊ธฐ ๋ฌผ ๋‚ด๋ฆฌ๊ธฐ, ์ˆ˜

์งˆ ์กฐ๊ฒฝ ๋ฐ ๊ธฐํƒ€ ๊ฐ€์ •์ด๋‚˜ ์‚ฌ์—…์ฒด ์šฉ๋„๋กœ ์‚ฌ์šฉ

ํ•  ์ˆ˜ ์žˆ๋‹ค๋Š” ์•ˆ๋‚ด๋ฅผ ๋ฐ›์•˜๋‹ค. ๊ทธ๋Ÿฌ๋‚˜ ํ”ผํ•ด ์ง€์—ญ

์ฃผ๋ฏผ๋“ค์€ DWP ์ง์›์ด ๋‘ ์ฐจ๋ก€์˜ ์ˆ˜์งˆ ๊ฒ€์‚ฌ๋ฅผ

์™„๋ฃŒํ•  ๋•Œ๊นŒ์ง€ ๋“์ธ ๋ฌผ์ด๋‚˜ ์ƒ์ˆ˜๋ฅผ ๊ณ„์† ์‚ฌ์šฉ ํ•  ๊ฒƒ์„ ๋‹น๋ถ€ ๋ฐ›์•˜๋‹ค.

ํ•ด๋‹น ์‹œํ—˜์€ 8์›” 12์ผ์— ์„ฑ๊ณต์ ์œผ๋กœ ์™„๋ฃŒ๋˜์–ด

๋“๋Š” ๋ฌผ ์‚ฌ์šฉ ๋ช…๋ น์ด ํ•ด์ œ๋˜์—ˆ๋‹ค. ์ด๋ฒˆ ๊ธˆ์ˆ˜์กฐ

์น˜๋Š” 8์›” 5์ผ, ํŽŒํ”„์žฅ ์ˆ˜๋ฆฌ ์ž‘์—… ์ค‘ ๋ฐธ๋ธŒ๊ฐ€ ํŒŒ

์†๋˜์–ด 1์ฒœ๋งŒ ๊ฐค๋Ÿฐ ์šฉ๋Ÿ‰์˜ ์ˆ˜์ž๋‚˜ ํƒฑํฌ์— ๋ฌผ์„

๊ณต๊ธ‰ํ•˜๋Š” 54์ธ์น˜ ํŒŒ์ดํ”„๋ผ์ธ์ด ์ฐจ๋‹จ๋˜๋ฉด์„œ ์‹œ

์ž‘๋˜์—ˆ๋‹ค. ์ž‘์—…์ž๋“ค์€ ์†ก์œ ๊ด€, ๊ด‘์„ฌ์œ ์„ , ๊ฐ€์Šค ๊ด€ ๊ทผ์ฒ˜์— ์œ„์น˜ํ•œ ์†์ƒ๋œ ๋ฐธ๋ธŒ์— ์ ‘๊ทผํ•˜๊ธฐ ์œ„ ํ•ด ์ง€ํ•˜ 24ํ”ผํŠธ๋ฅผ ๊ตด์ฐฉํ•ด์•ผ ํ–ˆ๊ณ , ํ˜„์žฅ์˜ ๋ณต์žก

์„ฑ์œผ๋กœ ์ธํ•ด ๋ฐธ๋ธŒ๋ฅผ ์ œ๊ฑฐํ•˜๊ธฐ ์ „์— ํŠธ๋ Œ์น˜๋ฅผ

๋„“ํ˜€์•ผ ํ–ˆ์—ˆ๋‹ค. ์ด๋ฒˆ ์‚ฌ๊ฑด์€ ํ”ผํ•ด ์ง€์—ญ์˜ ๊ธฐ์˜จ ์ด 90๋„๊นŒ์ง€ ์น˜์†Ÿ์€ ํญ์—ผ ๊ธฐ๊ฐ„ ์ค‘์— ๋ฐœ์ƒํ–ˆ๋‹ค.

ํ”ผํ•ด ์ง€์—ญ์€ ๋‚จ์ชฝ์œผ๋กœ๋Š” ๋ฆฌ๋‚ ๋”” ์• ๋น„๋‰ด, ๋™์ชฝ

์œผ๋กœ๋Š” ๋ฐœ๋ณด์•„ ๋ธ”๋Ÿฌ๋ฐ”๋“œ, ์„œ์ชฝ์œผ๋กœ๋Š” ๋ฐ์†Œํ†  ์• ๋น„๋‰ด, ๋ถ์ชฝ์œผ๋กœ๋Š” ์‚ฐ๊ธฐ์Šญ๊ณผ ์–ธ๋•์œผ๋กœ ๋‘˜๋Ÿฌ ์‹ธ์—ฌ ์žˆ๋‹ค.

DWP ๊ด€๊ณ„์ž๋“ค์€ ์ •์ „ ๊ธฐ๊ฐ„ ๋™์•ˆ 100๋งŒ ๋ณ‘ ์ด

์ƒ์˜ ์ƒ์ˆ˜๋ฅผ ๋ฐฐํฌํ•˜๊ณ  ์‹œ๋‹ˆ์–ด์™€ ์žฅ์• ์ธ ๊ณ ๊ฐ

์„ ํฌํ•จํ•œ ์ทจ์•ฝ ๊ณ„์ธต ์ฃผ๋ฏผ๋“ค์—๊ฒŒ 1,200๊ฐค๋Ÿฐ ์ด

์ƒ์˜ ์ƒ์ˆ˜๋ฅผ ์ œ๊ณตํ–ˆ๋‹ค๊ณ  ๋ฐํ˜”๋‹ค.

์ˆ˜๋—๋ฌผ ๊ณต๊ธ‰์ด ์žฌ๊ฐœ๋˜์ž, DWP๋Š” ์›”์š”์ผ ๋ฐค ์ด

๋™์‹ ์ƒค์›Œ ์‹œ์„ค๊ณผ ์„ธํƒ ์‹œ์„ค์„ ์˜๊ตฌ ํ์‡„ํ–ˆ๊ณ 

๋“์ธ ๋ฌผ ์‚ฌ์šฉ ๋ช…๋ น์ด ํ•ด์ œ๋˜์ž, DWP๋Š” ๊ธ‰์ˆ˜ ์‹œ์„ค์„ ํ์‡„ํ–ˆ๋‹ค.

๋‹ค์ € ์Šคํƒ€๋””์›€ ๊ณค๋Œ๋ผ ๋ฐ˜๋Œ€์ž๋“ค, LA ์ฃผ ๋ฆฝ ์—ญ์‚ฌ๊ณต์› ํ›ผ์† ์šฐ๋ ค ๋ฒ•์•ˆ ๋ฐ˜๋Œ€ ์‹œ์œ„ ์ฐจ์ด๋‚˜ํƒ€์šด, ์—˜๋ฆฌ์‹œ์•ˆ ํŒŒํฌ, ๊ทธ๋ฆฌ๊ณ  ๋กœ์Šค์•ค์ ค

๋ ˆ์Šค์˜ ๋ฐœ์ƒ์ง€ ์ƒ๊ณต์„ ๊ฐ€๋กœ์ง€๋ฅด๋Š” ์Šค์นด์ด์›จ์ด ๊ณค๋Œ๋ผ๋ฅผ ํ†ตํ•ด ์•ผ๊ตฌํŒฌ๋“ค์„ ๋‹ค์ € ์Šคํƒ€๋””์›€์œผ๋กœ

์ด๋™์‹œํ‚ค๋Š” ๋…ํŠนํ•œ ํ”„๋กœ์ ํŠธ์— ๋ฐ˜๋Œ€ํ•˜๋Š” ์‚ฌ๋žŒ ๋“ค์ด ์ƒˆํฌ๋ผ๋ฉ˜ํ†  ์ฃผ ์˜์›๋“ค์„ ํ–ฅํ•ด ์‚ฌ๋ฒ• ์‹ฌ์‚ฌ

๋ฅผ ์‹ ์†ํžˆ ์ง„ํ–‰ํ•˜๋Š” ๋ฒ•์•ˆ์„ ์š”๊ตฌํ–ˆ๋‹ค.

๋กœ์Šค์•ค์ ค๋ ˆ์Šค ์‹œ์˜ํšŒ ์˜์›๋“ค์€ '์Šคํ†ฑ ๋” ๊ณค๋Œ

๋ผ(Stop The Gondola)' ๋‹จ์ฒด์™€ ์ง€์—ญ ์‹œ์—๋ผ ํด

๋Ÿฝ์˜ ๋ฆฌ๋”๋“ค์„ ํฌํ•จํ•œ LA ๋ถ๋™๋ถ€ ์ง€์—ญ ์ฃผ๋ฏผ๋“ค

News

๊ณผ ํ•จ๊ป˜ ์ฃผ ์˜ํšŒ์— ์ƒ์› ๋ฒ•์•ˆ 71ํ˜ธ์˜ ์ˆ˜์ •์•ˆ์„

์ฒ ํšŒํ•ด ์ค„ ๊ฒƒ์„ ์š”์ฒญํ–ˆ๋‹ค. ํ•ด๋‹น ์ˆ˜์ •์•ˆ์€ LA ๋‹ค์ €์Šค์˜ ์ „ ๊ตฌ๋‹จ์ฃผ์ด์ž ๊ฒฝ๊ธฐ์žฅ ์ฃผ์ฐจ์žฅ์˜ ์ƒ

๋‹น ๋ถ€๋ถ„์„ ์†Œ์œ ํ•œ ์ฃผ์š” ๊ฐœ๋ฐœ์—…์ฒด์ธ ํ”„๋žญํฌ ๋งฅ ์ฝ”ํŠธ์˜ ์š”์ฒญ์œผ๋กœ ์ถ”๊ฐ€๋œ ๊ฒƒ์ด๋ผ๊ณ  ์ฃผ์žฅํ–ˆ๋‹ค.

์Šค์ฝง ์™€์ด๋„ˆ(๋ฏผ์ฃผ๋‹น, ์ƒŒํ”„๋ž€์‹œ์Šค์ฝ”) ์ฃผ ์ƒ์›์˜

์›์ด ์ œ์ถœํ•œ ๋ฒ•์•ˆ ์ˆ˜์ •์•ˆ์— ๋Œ€ํ•œ ์ •๋ณด๋ฅผ ์ ‘ํ•œ

LA ์‹œ์˜ํšŒ๋Š” ๋งŒ์žฅ์ผ์น˜๋กœ ํ•ด๋‹น ๋ฒ•์•ˆ์— ๋ฐ˜๋Œ€ํ‘œ

๋ฅผ ๋˜์กŒ๋‹ค. ์ด ๋ฒ•์•ˆ์€ ์บ๋Ÿฐ ๋ฐฐ์Šค ์‹œ์žฅ์ด ์„œ๋ช…ํ–ˆ๋‹ค.

๋ฐ˜๋Œ€์ž๋“ค์€ ๊ณค๋Œ๋ผ ํ”„๋กœ์ ํŠธ์— ์œ ๋ฆฌํ•œ ์˜ํ–ฅ์„

๋ฏธ์น  ๊ฒƒ์ด๋ผ๊ณ  ์ฃผ์žฅํ•˜๋ฉฐ ์ˆ˜์ •์•ˆ์„ ์ฒ ํšŒํ•˜๊ฑฐ๋‚˜

๋ฒ•์•ˆ์„ ํ๊ธฐํ•˜๋ผ๊ณ  ์ฃผ ์˜ํšŒ์— ์••๋ ฅ์„ ๊ฐ€ํ–ˆ๋Š”

๋ฐ, ์ง€๋‚œ 5์›” ํ•ญ์†Œ ๋ฒ•์›์ด ๋ฐ˜๋Œ€์ž๋“ค์—๊ฒŒ ์œ ๋ฆฌ

ํ•œ ํŒ๊ฒฐ์„ ๋‚ด๋ฆฌ๋ฉด์„œ ํ”„๋กœ์ ํŠธ ์ง„ํ–‰์— ์ถ”๊ฐ€์ 

์ธ ํ™˜๊ฒฝ ๊ฒ€ํ† ๊ฐ€ ํ•„์š”ํ•˜๋‹ค๋Š” ํŒ๊ฒฐ์ด ๋‚ด๋ ค์ง€๋ฉด

์„œ ์ด ํ”„๋กœ์ ํŠธ์˜ ํ™˜๊ฒฝ์  ์ง€์œ„๋Š” ํƒ€๊ฒฉ์„ ์ž…์—ˆ๋‹ค.

์ด ์†Œ์†ก์˜ ์›๊ณ ์ด์ž LA ๊ณต์›์—ฐํ•ฉ์˜ ์กด ํฌ๋ฆฌ์Šค ํ…์Šจ์€ ์ด ํ”„๋กœ์ ํŠธ๊ฐ€ LA์˜ ์—ญ์‚ฌ์ ์ธ ์ง€์—ญ์„

ํ›ผ์†ํ•˜๊ณ , ์ฃผ๋ณ€ ์ง€์—ญ์— ํ™ฉํํ™”์™€ ๊ตํ†ต ์ฒด์ฆ์„

์œ ๋ฐœํ•˜๋ฉฐ, LA ์ฃผ๋ฆฝ ์—ญ์‚ฌ๊ณต์›์˜ ๊ณ ์ฆˆ๋„‰ํ•จ๊ณผ ๋ฏธ

๊ด€์„ ํ•ด์น  ๊ฒƒ์ด๋ผ๋Š” ์ด์œ ๋กœ ๊ฐ•๋ ฅํžˆ ๋ฐ˜๋Œ€ํ•ด ์™”๋‹ค. ํฌ๋ฆฌ์Šคํ…์Šจ์€ ์ด ๋ฒ•์•ˆ๊ณผ ๊ด€๋ จํ•˜์—ฌ 3ํ•ญ์ด ๋งฅ์ฝ” ํŠธ์˜ ํ”„๋กœ์ ํŠธ์—๋งŒ ์œ ๋ฆฌํ•˜๋„๋ก ์ž‘์„ฑ๋˜์—ˆ๋‹ค๊ณ  ๋งํ–ˆ๋‹ค.

๋กœ์Šค์•ค์ ค๋ ˆ์Šค ๊ณต์ค‘ ๊ณ ์†๊ตํ†ต(LAART) ํ”„๋กœ์ 

ํŠธ๋Š” 2018๋…„ 4์›” LA ๋‹ค์ €์Šค์˜ ์ „ ๊ตฌ๋‹จ์ฃผ ํ”„๋žญ

ํฌ ๋งฅ์ฝ”ํŠธ๊ฐ€ LA ๋ฉ”ํŠธ๋กœ์— ์ œ์ถœํ–ˆ๋‹ค. 2024๋…„ 2 ์›” 22์ผ LA ๋ฉ”ํŠธ๋กœ์˜ ์Šน์ธ์„ ๋ฐ›์•˜๋‹ค. ๋งฅ์ฝ”ํŠธ

๋Š” ๋‹ค์ €์Šค ์Šคํƒ€๋””์›€ ์ฃผ์ฐจ์žฅ์˜ 50%๋ฅผ ์†Œ์œ ํ•˜

๊ณ  ์žˆ์œผ๋ฉฐ, ๋ฒ•์› ๊ธฐ๋ก์— ๋”ฐ๋ฅด๋ฉด ๊ทธ๋Š” ์ด ๋ถ€์ง€๋ฅผ

ํ–ฅํ›„ ์ฃผ๊ฑฐ ๋ฐ ์†Œ๋งค ์šฉ๋„๋ฅผ ํฌํ•จํ•œ ๋ณตํ•ฉ์šฉ๋„ ๊ฐœ

๋ฐœ์— ์‚ฌ์šฉํ•  ๊ฐ€๋Šฅ์„ฑ์ด ์žˆ๋‹ค. ๋ฐ˜๋Œ€์ž๋“ค์€ ์ด ๊ณค

๋Œ๋ผ๊ฐ€ ์ฐจ๋ฒ ์Šค ๋ผ๋นˆ์˜ ์‡ผํ•‘์„ผํ„ฐ์™€ ์ฃผํƒ์„ ์˜ค

๊ฐ€๋Š” ์‚ฌ๋žŒ๋“ค์„ ์œ„ํ•œ ๋‹จ์ˆœํ•œ ๋ฏผ๊ฐ„ ํ”„๋กœ์ ํŠธ๋ผ ๊ณ  ์ฃผ์žฅํ•œ๋‹ค.

์„œ๋น„์Šค ๋ณต๊ตฌ ์™„๋ฃŒ ์ˆ˜์ฒœ ๋ช…์˜ ๋กœ์Šค์•ค์ ค๋ ˆ์Šค ๊ณ ๊ฐ์—๊ฒŒ ์˜ํ–ฅ์„ ๋ฏธ ์นœ ์ŠคํŽ™ํŠธ๋Ÿผ์˜ ์„œ๋น„์Šค ์ค‘๋‹จ ์‚ฌํƒœ๊ฐ€ ํšŒ์‚ฌ ์ธก์€

๋ฒ”์ฃ„ ๊ณต๊ฒฉํ–‰์œ„๋กœ ์ธํ•ด ๋ฐœ์ƒํ–ˆ๋‹ค๊ณ  ๋ฐํžŒ ํ›„ ๋ณต ๊ตฌ๋˜์—ˆ๋‹ค. ์ŠคํŽ™ํŠธ๋Ÿผ ์ธก์€ 8์›” 13์ผ ์˜คํ›„ ๋…ธ์Šค ๋ฆฌ์ง€์—์„œ ๋ˆ„๊ตฐ๊ฐ€ ๊ด‘์„ฌ์œ ์„ ์„ ์ ˆ๋‹จํ•˜๋ฉด์„œ ์„œ๋น„

์Šค ์ค‘๋‹จ์ด ๋ฐœ์ƒํ–ˆ์œผ๋ฉฐ, ๋‹ค์Œ ๋‚  ์•„์นจ๊นŒ์ง€๋Š” ๋ณต

๊ตฌ๋˜์ง€ ์•Š์„ ์ˆ˜ ์žˆ๋‹ค๊ณ  ๋ฐํ˜”์—ˆ๋‹ค. ์ŠคํŽ™ํŠธ๋Ÿผ ์ˆ˜

๋ฆฌํŒ€์€ ์„œ๋น„์Šค ๋ณต๊ตฌ๋ฅผ ์œ„ํ•ด ๊ด‘์„ฌ์œ ์„  ์—ฐ๊ฒฐ ์ž‘

์—…์„ ์ง„ํ–‰ํ–ˆ๊ณ  ๋กœ์Šค์•ค์ ค๋ ˆ์Šค ๊ฒฝ์ฐฐ๊ตญ์— ์‹ ๊ณ ํ–ˆ๋‹ค

๊ณ  ๋ฐํ˜”๋‹ค. ์ŠคํŽ™ํŠธ๋Ÿผ์€ ์ฒดํฌ์— ๋„์›€์ด ๋˜๋Š” ์ •

๋ณด๋ฅผ ์ œ๊ณตํ•˜๋Š” ์‚ฌ๋žŒ์—๊ฒŒ ์ตœ๋Œ€ 2๋งŒ 5์ฒœ ๋‹ฌ๋Ÿฌ์˜ ๋ณด์ƒ๊ธˆ์„ ์ œ๊ณตํ•œ๋‹ค. ์‚ฌ๊ฑด ๊ด€๋ จ ์ •๋ณด๋ฅผ ๊ฐ€์ง„ ์‚ฌ

๋žŒ์€ (833) 404-8477๋กœ ์ „ํ™”ํ•˜๊ฑฐ๋‚˜ ์ง€์—ญ ๋ฒ•

์ง‘ํ–‰ ๊ธฐ๊ด€์— ์‹ ๊ณ ํ•ด ์ค„ ๊ฒƒ์„ ๋‹น๋ถ€ํ–ˆ๋‹ค.

ํ•œํŽธ, ์ŠคํŽ™ํŠธ๋Ÿผ ์ธก์€ ๊ด‘์„ฌ์œ ์—๋Š” ๊ตฌ๋ฆฌ๊ฐ€ ํฌํ•จ

๋˜์–ด ์žˆ์ง€ ์•Š๋‹ค๊ณ  ๊ฐ•์กฐํ–ˆ๋‹ค.

Community News

๋ฐ๋ณธ์…”

๋ฐ๋ณธ์…” ๊ฒฝ์ฐฐ๊ตญ์ด โ€˜๋‚ด์…”๋„ ๋‚˜์ดํŠธ ์•„์›ƒโ€™ ํ–‰์‚ฌ๋ฅผ ์ง€๋‚œ 8์›” 5์ผ ์˜คํ›„ 6

์‹œ๋ถ€ํ„ฐ ๋…ธ์Šค๋ฆฌ์ง€ ํŒ(18300 Lemarsh St., Northridge)์—์„œ ๊ฐœ์ตœ ํ•˜์˜€๋‹ค. ์ด๋‚  7/11, Caneโ€™s, Target ๊ทธ๋ฆฌ๊ณ  Sephora ๋“ฑ์—์„œ ์ฃผ๋ฏผ๋“ค์—๊ฒŒ ์„ ๋ฌผ์„

๋‚˜๋ˆ„์–ด ์ฃผ๊ณ  ์ฐธ๊ฐ€ํ•œ ์ „์›์—๊ฒŒ ์ €๋…์‹์‚ฌ์™€ ์Œ๋ฃŒ์ˆ˜๊ฐ€ ๋ฌด๋ฃŒ๋กœ ์ œ๊ณต ๋˜์—ˆ ๋‹ค. ๋ฐ๋ณธ์…” ๊ฒฝ์ฐฐ๊ตญ์€ ๊ฒฝ๊ด€๊ณผ ์ฃผ๋ฏผ์ด ๋งŒ๋‚˜ ๋Œ€ํ™”ํ•˜๊ณ  ์ƒํ˜ธ ์ดํ•ด์˜ ํญ์„ ๋„“

ํžˆ์ž๋Š” ์ทจ์ง€๋กœ ์ด ํ–‰์‚ฌ๋ฅผ ๋งˆ๋ จํ•˜์˜€๋Š”๋ฐ, ์œ ํฌ์ž ๊ตญ์•… ๋ฌด์šฉ ์—ฐ๊ตฌ์†Œ๊ฐ€ ์ดˆ

๋Œ€๋˜์—ˆ๊ณ  ์ œ์‹œ ๋ฆฌ์˜ ์‚ฌํšŒ๋กœ K-Pop (Ashley Moon ์•ˆ๋ฌด์™€ ์ง€๋„)๊ณผ ์™€์ด

๋‚œํƒ€๋ฅผ ์„ ๋ณด์ด๋ฉฐ.

ํ•œ๊ตญ ๋ฌธํ™”๋ฅผ ์†Œ๊ฐœํ•˜์—ฌ ํญ๋ฐœ์ ์ธ ํ˜ธ์‘์„ ๋ฐ›์•˜๋‹ค. ์ด๋‚  John Lee ์‹œ์˜์›

์˜ ์ธ์‚ฌ ๋ง์”€๊ณผ โ€˜Paddington in Peruโ€™ ๋ผ๋Š” ์˜ํ™”๋„ ์ƒ์˜์ด ๋˜์—ˆ๋‹ค.

ํ•œํŽธ, ๋ฏธ์ „์—ญ์—์„œ 350ํšŒ ์ด์ƒ์˜ ๊ณต์—ฐ์„ ํŽผ์ณ์™”๋˜ ์œ ํฌ์ž ๋‹จ์žฅ์€ ์ „ํ†ต

์˜ˆ์ˆ ์˜ ๋งฅ์„ ์ž‡๊ธฐ ์œ„ํ•ด ํž˜์จ์™”์œผ๋ฉฐ, ํ˜„๋Œ€์ ์ธ ์›€์ง์ž„๊ณผ ์ฐฝ์˜์ ์ธ ํ‘œํ˜„

์„ ๊ฒฐํ•ฉํ•œ ์ƒˆ๋กœ์šด ๋ฌด์šฉ ์Šคํƒ€์ผ๋กœ 21์„ธ๊ธฐ ๊ด€๊ฐ๋“ค์—๊ฒŒ ํ•œ๊ตญ์˜ ๋ฏธ๋ฅผ ์•Œ๋ฆฌ

๋Š” ๋ฐ ๊ธฐ์—ฌํ•˜๊ณ  ์žˆ๋‹ค. ๋˜ํ•œ ์œ ํฌ์ž ๊ตญ์•…๋ฌด์šฉ์†Œ์—์„œ๋Š” ์ „ํ†ต ์˜ˆ์ˆ ์„ ๋ฐฐ์šฐ ๊ณ  ์ง€์—ญ์‚ฌํšŒ์— ๊ธฐ์—ฌํ•  ์ˆ˜ ์žˆ๋Š” ์ˆ˜์—…์œผ๋กœ ์ฒญ์†Œ๋…„๋“ค์—๊ฒŒ ๋ฌธํ™”์  ์ž๊ธ์‹ฌ

๊ณผ ๋ด‰์‚ฌ์˜ ๊ฐ€์น˜๋ฅผ ์‹ฌ์–ด์ฃผ๋Š”๋ฐ ์•ž์žฅ์„œ๊ณ  ์žˆ๋‹ค.

์ž์„ธํ•œ ์ •๋ณด ๋ฐ ๋ฌธ์˜๋Š” (818) 456-8022 ๋˜๋Š” ์›น์‚ฌ์ดํŠธ www. hizakordance.com์—์„œ ํ™•์ธํ•  ์ˆ˜ ์žˆ๋‹ค. ์œ ํŠœ๋ธŒ์—์„œ โ€˜Hiza Yooโ€™๋ฅผ ๊ฒ€ ์ƒ‰ํ•˜๋ฉด ๋‹ค์–‘ํ•œ ๊ณต์—ฐ ์˜์ƒ๋„ ์‹œ์ฒญ ๊ฐ€๋Šฅํ•˜๋‹ค.

1.โ€œYโ€ Nanta - Chloe Kim, Hayden Kim, Dylan Kim, Ian Kim, Kevin Kwon, Kayla Lee , Siwon Min & Jessie Lee

2. K-Pop- Chrystal Moon, Ellisha Lee, Emily Jo. Elise Lee & Irene Kim

๋ฐธ๋ฆฌ ๋Œ€ํ•œ๋…ธ์ธํšŒ, ์‹œ๋‹ˆ์–ด ํŠน๊ฐ• ๋ฐœํ‘œํšŒ ์„ฑํ™ฉ๋ฆฌ ๊ฐœ์ตœ

๋…ธ์ธ์˜ ๊ถŒ์ต ์‹ ์žฅ๊ณผ ๋ณต์ง€ ํ–ฅ์ƒ์„ ์œ„ํ•ด ๊พธ์ค€ํžˆ ๋…ธ๋ ฅํ•˜๋ฉฐ ์ง€์—ญ ์–ด๋ฅด์‹ ๋“ค

์„ ์œ„ํ•œ ๋‹ค์–‘ํ•œ ํ–‰์‚ฌ์™€ ์„ฑ์ธํ•™๊ต๋ฅผ ์šด์˜ํ•ด์˜จ ์—ฐ๋ฐฉ์ •๋ถ€ ๋ฐ ์ฃผ์ •๋ถ€ ์ธ๊ฐ€

์‚ฌ๋‹จ๋ฒ•์ธ ๋ฐธ๋ฆฌ ๋Œ€ํ•œ๋…ธ์ธํšŒ๊ฐ€ ์ง€๋‚œ๋‹ฌ ํŠน๋ณ„ํ•œ ํ–‰์‚ฌ๋ฅผ ๋งˆ๋ จํ–ˆ๋‹ค.

์ด๋ฒˆ ํ–‰์‚ฌ๋Š” ์—ฌ๋ฆ„๋ฐฉํ•™์œผ๋กœ ์ธํ•ด ๋ฐธ๋ฆฌ ์ง€์—ญ ๋‚ด ๋ชจ๋“  ์‹œ๋‹ˆ์–ดํ•™๊ต์˜ ์ˆ˜์—…

์ด ์ž ์‹œ ์ค‘๋‹จ๋œ ์‹œ๊ธฐ์—, ๋ฐฐ์›€์˜ ์ฆ๊ฑฐ์›€์„ ์ด์–ด๊ฐ€๊ณ ์ž ๊ธฐํš๋œ โ€˜ํŠน๊ฐ• ๋ฐœ ํ‘œํšŒโ€™์˜€๋‹ค. ๊ทธ๋™์•ˆ ๊ฐˆ๊ณ ๋‹ฆ์€ ์‹ค๋ ฅ์„ ๋งˆ์Œ๊ป ํŽผ์น˜๋ฉฐ ๋ฐฐ์›€์˜ ์—ด์ •์„ ๋‚˜

๋ˆ„๋Š” ์ž๋ฆฌ๋กœ, 60์—ฌ๋ช…์˜ ์ฐธ๊ฐ€์ž์™€ 30์—ฌ๋ช…์˜ ์ดˆ๋Œ€ ์†๋‹˜๋“ค์ด ๋ชจ์—ฌ ๋œป ๊นŠ์€

์‹œ๊ฐ„์„ ํ•จ๊ป˜ํ–ˆ๋‹ค.

์ฐธ๊ฐ€์ž๋“ค์€ โ€œ๋‚˜์ด๋Š” ์ˆซ์ž์— ๋ถˆ๊ณผํ•˜๋‹คโ€๋Š” ๋ง์ฒ˜๋Ÿผ, ์ง€์น  ์ค„ ๋ชจ๋ฅด๋Š” ์—ด

์ •๊ณผ ๋ฐฐ์›€์˜ ๊ธฐ์จ์„ ๋ฌด๋Œ€ ์œ„์—์„œ ๋ณด์—ฌ์ฃผ์—ˆ๋‹ค. ํŠนํžˆ ์‹œ๋‹ˆ์–ด๋“ค์ด ์ง์ ‘ ์ฐธ

์—ฌํ•œ ๋ฐœํ‘œ ๋ฌด๋Œ€๋Š” ํ•™์Šต์˜ ์„ฑ๊ณผ๋ฅผ ๋„˜์–ด, ์‚ถ์˜ ์•„๋ฆ„๋‹ค์šด ์ˆœ๊ฐ„์„ ์†Œ์ค‘ํžˆ ๊ฐ„

์งํ•˜๊ณ  ๋‚˜๋ˆ„๋Š” ๊ฐ๋™์˜ ์‹œ๊ฐ„์ด์—ˆ๋‹ค.

์˜ฌํ•ด๋กœ 3๋…„์งธ ์ด์–ด์ง€๊ณ  ์žˆ๋Š” ์ด๋ฒˆ ๋ฐœํ‘œํšŒ๋Š” ๋ฐธ๋ฆฌ ์ง€์—ญ์˜ ํŠน์ƒ‰ ์žˆ๋Š” ์‹œ

๋‹ˆ์–ด ์‚ฌ์—ญ์œผ๋กœ ์ž๋ฆฌ๋งค๊น€ํ•˜๊ณ  ์žˆ์œผ๋ฉฐ, ๋‚˜๋ˆ”๊ณผ ๋ฐฐ์›€์ด ์–ด์šฐ๋Ÿฌ์ง„ ํ•˜๋‚˜์˜

์ถ•์ œ๋กœ ๋ฐœ์ „ํ•ด๊ฐ€๊ณ  ์žˆ๋‹ค.

๋ฌด์—‡๋ณด๋‹ค ์ด๋ฒˆ ํ–‰์‚ฌ๋Š” ๋ฏธ๊ตญ์‹œ๋‹ˆ์–ด์„ผํ„ฐ(One Generation)์˜ ์•„๋‚Œ์—†๋Š” ์žฅ

์†Œ ์ง€์› ๋•๋ถ„์— ๋”์šฑ ๋น›๋‚ฌ๋‹ค. ๋„“๊ณ  ์พŒ์ ํ•œ ๊ณต๊ฐ„์—์„œ ๋ฌด๋ฃŒ๋กœ ๊ฐ•์Šต์„ ์ด์–ด ๊ฐˆ ์ˆ˜ ์žˆ์—ˆ๊ธฐ์—, ์ด๋ฒˆ ๋ฌด๋Œ€ ๋˜ํ•œ ์‹œ๋‹ˆ์–ด๋“ค์—๊ฒŒ ๊ฐ๋ณ„ํ•œ ์˜๋ฏธ๊ฐ€ ๋˜์—ˆ๋‹ค.

Community News

๋ฐธ๋ฆฌ ๋Œ€ํ•œ๋…ธ์ธํšŒ๋Š” ์•ž์œผ๋กœ๋„ ์ง€์—ญ์‚ฌํšŒ ์‹œ๋‹ˆ์–ด๋“ค์„ ์œ„ํ•œ ๋ฌด๋ฃŒ ๊ฐ•์Šต ํ”„

๋กœ๊ทธ๋žจ์„ ์ง€์†์ ์œผ๋กœ ์šด์˜ํ•ด ๋‚˜๊ฐˆ ์˜ˆ์ •์ด๋‹ค. ์ด ๊ณผ์ •์„ ํ†ตํ•ด ์–ด๋ฅด์‹ ๋“ค

์˜ ์ •์‹ ์ ยท์œก์ฒด์  ๊ฑด๊ฐ• ์ฆ์ง„์€ ๋ฌผ๋ก , ๋” ํฐ ํ–‰๋ณต๊ณผ ํ™œ๋ ฅ์„ ๋‚˜๋ˆ„๋Š” ์žฅ์„

๋งŒ๋“ค์–ด๊ฐ€๊ฒ ๋‹ค๋Š” ๊ณ„ํš์ด๋‹ค. u ์„ฑ์ธํ•™๊ต ๊ฐ€์„ํ•™๊ธฐ(10์ฃผ) 9์›”15์ผ ์‹œ์ž‘ u

ํ™”์š”ํด๋ž˜์Šค: ์‹œ๋‹ˆ์–ด ๋…ธ๋ž˜๊ต์‹ค 2pm-3:30pm (๋…ธ์ธํšŒ)

์ˆ˜์š”ํด๋ž˜์Šค: ์…€ํฐ๋ฐ˜ 10am-11:30am (๊ตํšŒ ๋ณธ๋‹น)

๋ชฉ์š”ํด๋ž˜์Šค: ๊ฑด๊ฐ•์ฒด์กฐ, ๋ผ์ธ๋Œ„์Šค(๊ธฐ์ดˆ) 9:30am-11:30am (One Generation)

๋ผ์ธ๋Œ„์Šค (๊ณ ๊ธ‰) 1:30pm-3pm (๋…ธ์ธํšŒ)

๊ธˆ์š”ํด๋ž˜์Šค: ๋ผ์ธ๋Œ„์Šค(์ค‘๊ธ‰) 9:30am- 11:30am (One Generation)

์„ฑ์ธํ•™๊ต ์‹ ์ฒญ๋ฌธ์˜: ์ตœ๋ฏธ๋ž€ ํšŒ์žฅ

u 10์›” ์ถ”์„ ๋Œ€์ž”์น˜ ํ–‰์‚ฌ๋ฅผ ์•Œ๋ฆผ u

์ถ”์„ ๋Œ€์ž”์น˜ ๋‚ ์ž: 10์›” 4์ผ(๊ธˆ) 10:30am

์žฅ์†Œ: ๋ฐธ๋ฆฌ๋Œ€ํ•œ ๋…ธ์ธํšŒ (๋ฐธ๋ฆฌ์ƒ๋ช…์˜๊ตํšŒ ๋ณธ๋‹น)

์ฃผ์†Œ: 18531 Gresham St. Northridge, CA 91324

์žฅ์†Œ๊ฐ€ ํ˜‘์†Œํ•˜์—ฌ ์ฆ๊ฑฐ์šด ์ž๋ฆฌ์— ๋ถ€์กฑํ•จ์ด๋‚˜ ๋ถˆํŽธํ•จ ์—†๋„๋ก ์ฐธ์„์„ ์œ„

ํ•œ ์‹ ์ฒญ์„ ์š”ํ•ฉ๋‹ˆ๋‹ค. ๋ฌธ์˜ : 818-700-8550 ์ตœ๋ฏธ๋ž€ ํšŒ์žฅ

Community News

์ž๋…€ ๊ฒฐํ˜ผ์„ ์œ„ํ•œ ๋ถ€๋ชจ๋‹˜๋“ค์˜

โ€˜ํ•œ์šธ๋ชจ์ž„โ€™์„ฑํ™ฉ๋ฆฌ์— ์—ด๋ ค

์–ด์ง€๊ณ  ์žˆ๋‹ค.

์ง€๋‚œ 7์›” 26์ผ, ๋ฐธ๋ฆฌ์˜ ์†ก๋ฆผ์žฅ์—์„œ ์ž๋…€ ๊ฒฐํ˜ผ์„ ์œ„

ํ•œ ๋ถ€๋ชจ๋‹˜๋“ค์˜ ํ•œ์šธ๋ชจ์ž„์ด ์—ด๋ ธ๋‹ค. ์ด๋ฒˆ ๋ชจ์ž„์€ ์ž

๋…€๋“ค์˜ ํ˜ผ๊ธฐ๋ฅผ ๊ฑฑ์ •ํ•˜๋Š” ๋ถ€๋ชจ๋‹˜๋“ค์„ ์ค‘์‹ฌ์œผ๋กœ ๋งˆ๋ จ

๋œ ์ž๋ฆฌ๋กœ, ์˜ˆ์ƒ๋ณด๋‹ค ๋งŽ์€ ์ฐธ์„์ž๋“ค์ด ์ฐพ์•„ ์ฃผ์ฐจ์žฅ

์ด ๊ฐ€๋“ ์ฐจ๋Š” ๋“ฑ ๋œจ๊ฑฐ์šด ๊ด€์‹ฌ ์†์—์„œ ์ง„ํ–‰๋๋‹ค.

๋ฏธ๊ตญ ์ด๋ฏผ ์‚ฌํšŒ ์†์—์„œ ๊ฒฐํ˜ผ ์ ๋ น๊ธฐ๋ฅผ ํ›Œ์ฉ ์ง€๋‚˜๋ฒ„

๋ฆฐ ๋ฏธํ˜ผ ๋‚จ๋…€๋“ค์ด ๋Š˜์–ด๋‚˜๋ฉด์„œ, ๋ถ€๋ชจ๋“ค์˜ ๊ฑฑ์ •๋„ ๊นŠ

์ž๋…€๊ฐ€ ์•Œ์•„์„œ ํ•˜๊ฒ ์ง€ ํ•˜๊ณ  ๊ธฐ๋‹ค๋ฆฌ๊ธฐ๋ณด๋‹ค๋Š” ๋ถ€๋ชจ๊ฐ€ ์ง์ ‘ ๋‚˜์„œ ๊ต๋ฅ˜์˜

์žฅ์„ ๋งŒ๋“ค์ž๋Š” ์ทจ์ง€์—์„œ ์‹œ์ž‘๋œ ์ด๋ฒˆ ๋ชจ์ž„์€, ์ฐธ์„์ž๋“ค์˜ ํฐ ๊ณต๊ฐ์„ ์–ป

์—ˆ๋‹ค.

์‹ค์ œ๋กœ ์ฐธ์„์ž ์ค‘ ์ƒ๋‹น์ˆ˜๋Š” โ€œ๋น„์Šทํ•œ ๊ณ ๋ฏผ์„ ๊ฐ€์ง„ ๋ถ€๋ชจ๋‹˜๋“ค๊ณผ ๋งŒ๋‚  ์ˆ˜

์žˆ์–ด ํฐ ์œ„๋กœ๊ฐ€ ๋˜์—ˆ๋‹คโ€๋Š” ์†Œ๊ฐ์„ ์ „ํ–ˆ๋‹ค.

๋ชจ์ž„ ์†Œ์‹์„ ์ ‘ํ•œ ์—˜์—์ด ํ•œ์ธํƒ€์šด์˜ ๋ถ€๋ชจ๋‹˜๋“ค๋กœ๋ถ€ํ„ฐ๋„ โ€œํƒ€์šด์—์„œ๋„

๊ฐ™์€ ๋ชจ์ž„์„ ์—ด์–ด ๋‹ฌ๋ผโ€๋Š” ์š”์ฒญ์ด ์ด์–ด์ง€๊ณ  ์žˆ๋‹ค. ์ฃผ์ตœ ์ธก์€ ์ด๋ฒˆ ๋งŒ๋‚จ

์ด ๋‹จ๋ฐœ์„ฑ์œผ๋กœ ๋๋‚˜์ง€ ์•Š๋„๋ก ๋ถ€๋ชจ๋‹˜๋“ค ๊ฐ„์˜ ์ง€์†์ ์ธ ์—ฐ๋ฝ๊ณผ ๋งŒ๋‚จ์„

๋…๋ คํ•˜๊ณ  ์žˆ์œผ๋ฉฐ, ํ›„์† ๋ชจ์ž„ ์ค€๋น„์—๋„ ํž˜์“ฐ๊ณ  ์žˆ๋‹ค.

์ด๋ฒˆ ํ–‰์‚ฌ๋Š” ๋น„์˜๋ฆฌ ๋“ฑ๋ก ๋‹จ์ฒด์ธ ํ•œ์šธ ์šด๋™์˜ ์ง€์—ญ ์‚ฌํšŒ ๋ด‰์‚ฌ ํ™œ๋™์˜ ์ผ

ํ™˜์œผ๋กœ ๋งˆ๋ จ๋œ ๊ฒƒ์ด๋‹ค.

ํ•œ์šธ ์šด๋™ ์ธก์€ โ€œ์ด๋ฏผ ์‚ฌํšŒ์—์„œ ๊ฒฐํ˜ผ ๋ฌธ์ œ๋Š” ๋‹จ์ˆœํ•œ ๊ฐœ์ธ์˜ ๊ณ ๋ฏผ์ด ์•„

๋‹ˆ๋ผ ๊ฐ€์ •๊ณผ ๊ณต๋™์ฒด์—๋„ ์˜ํ–ฅ์„ ๋ฏธ์น˜๋Š” ์ค‘์š”ํ•œ ๋ฌธ์ œโ€๋ผ๋ฉฐ, โ€œ์•ž์œผ๋กœ

๋„ ๋ถ€๋ชจ๋‹˜๋“ค์ด ์„œ๋กœ ํž˜

์„ ๋ชจ์„ ์ˆ˜ ์žˆ๋Š” ์žฅ์„ ๋งˆ ๋ จํ•˜๊ฒ ๋‹ค.โ€๊ณ  ๋ฐํ˜”๋‹ค.

๋ถ€๋“์ด ์ด๋ฒˆ ๋ชจ์ž„์— ์ฐธ

์„ํ•˜์ง€ ๋ชปํ•œ ๋ถ„๋“ค์€ ์ฃผ

์ตœ ์ธก ๊น€์šฉ ๋Œ€ํ‘œ (818-207-3222)์—๊ฒŒ ๋ฌธ์˜ํ•˜๋ฉด ๋„์›€์„ ๋ฐ›์„ ์ˆ˜ ์žˆ๋‹ค.

Community News

ํผ์‹œํ”ฝ ์•„๋ฉ”๋ฆฌ์นธ ์žฌ๋‹จ์€ ๋‹ค์Œ ์„ธ๋Œ€๋“ค์ด ์—ด์‹ฌํžˆ ํ•™์—…์— ์ž„ํ•˜๋Š”๋ฐ ํž˜์„

์‹ค์–ด์ค„ ์ˆ˜ ์žˆ๋„๋ก ๋œป ๊นŠ๊ฒŒ ๋งˆ๋ จ๋œ ์ž๋ฆฌ์—์„œ ์ง€์—ญ ํ•™์ƒ๋“ค์—๊ฒŒ ์žฅํ•™๊ธˆ์„

์ˆ˜์—ฌ ํ–ˆ๋‹ค. ํผ์‹œํ”ฝ ์•„๋ฉ”๋ฆฌ์นธ ์žฌ๋‹จ์€ ํ•œ์ธ์‚ฌํšŒ์˜ ์ง€์†์ ์ธ ๋ฐœ์ „๊ณผ ๊ต์œก

์— ๋Œ€ํ•œ ์ปค๋ฎค๋‹ˆํ‹ฐ์˜ ํ—Œ์‹ ์„ ๊ฐ•์กฐํ•˜๋ฉฐ, ํ•™์ƒ๋“ค์—๊ฒŒ ๋ฏธ๋ž˜์— ๋Œ€ํ•œ ํฌ๋ง์„

์•ˆ๊ฒจ์ฃผ์—ˆ๋Š”๋ฐ, ํ•œ์ธํ•™์ƒ๋“ค์„ ์œ„ํ•ด ๋ณด๋žŒ ์žˆ๋Š” ์ผ์„ ํ•˜๊ณ ์ž ํ•˜๋Š” ์ทจ์ง€๋กœ

์‹œ์ž‘๋˜์–ด ๋งค๋…„๋งˆ๋‹ค ๋ฐธ๋ฆฌ ์ง€์—ญ ๋Œ€ํ•™ ์žฌํ•™์ƒ๊ณผ ๋Œ€ํ•™์ง„ํ•™ ์˜ˆ์ •์ธ 12ํ•™๋…„

์•ฝ๊ฐ„ ๋ช…์„ ๋Œ€์ƒ์œผ๋กœ ์žฅํ•™์ƒ์„ ์„ 

๋ฐœํ•ด์˜ค๊ณ  ์žˆ๋‹ค.

์•ž์œผ๋กœ๋„ ์ด๋Ÿฌํ•œ ์ง€์›์ด ์ง€์†๋˜์–ด

๋” ๋งŽ์€ ํ•™์ƒ๋“ค์ด ์ž์‹ ์˜ ๊ฟˆ์„ ํ‚ค

์šฐ๊ณ  ์‚ฌํšŒ์— ๊ธฐ์—ฌํ•  ์ˆ˜ ์žˆ๋Š” ๊ธฐํšŒ

๋ฅผ ๊ฐ€์งˆ ์ˆ˜ ์žˆ๊ธฐ๋ฅผ ๊ธฐ๋Œ€ํ•ด ๋ณด๋ฉฐ ์˜ฌ

์žฅํ•™๊ธˆ ์ˆ˜์—ฌ

ํ•ด๋„ ์–ด๋ ค์›€์ด ์žˆ์—ˆ์ง€๋งŒ ์ด์›ƒ ์‚ฌ๋ž‘ ์‹ค์ฒœ์˜ ์ผํ™˜์œผ๋กœ ์žฌ๋‹จ ๊ด€๊ณ„์ž๋ฟ๋งŒ

์—ฌ๋Ÿฌ ๋ถ„๋“ค์ด ์ฐธ์—ฌํ•ด ์ฃผ์…”์„œ ํž˜์ด ๋˜์–ด ์ฃผ์…จ๋‹ค.

๋ฐธ๋ฆฌ ์—์ด์Šค ์น˜๊ณผ์—์„œ ์ˆ˜์—ฌํ–ˆ๋˜ 2025๋…„ ์žฅํ•™๊ธˆ ์ˆ˜ํ˜œ์ž ๋ช…๋‹จ์€ ๋‹ค์Œ๊ณผ

๊ฐ™๋‹ค. SUNG, SUNNY (Faith International Univ.)

LEE, ANNA (Moorpark College)

BYUN, DAVID (CBU)

KANG, AUDREY (Pierce College)

HAHN, JACOB (Brown)

SUNG, SCYON (USC)

๋ฌธ์˜: (818) 576-9990 2025๋…„ ํผ์‹œํ”ฝ

LEE, THOMAS (USC), KIM, JOYCE (Pepperdine)

KWON, ANGELA (Princeton Univ.), CHUNG, MAX (Pierce College)

์‹ ํƒ์ค‘์‹ฌ์˜ ์ž์‚ฐ๊ณ„ํš ํฌํŠธํด๋ฆฌ์˜ค๋ž€?

๊ธ€ : ์ƒค๋ก  ์œค ๋ณ€ํ˜ธ์‚ฌ

์‹ ํƒ์ค‘์‹ฌ์˜ ์ž์‚ฐ๊ณ„ํš ํฌํŠธํด๋ฆฌ์˜ค์—๋Š” ๋‹ค์„ฏ ๊ฐ€์ง€ ์ฃผ์š” ๊ตฌ์„ฑ์š”์†Œ๊ฐ€ ์žˆ์Šต ๋‹ˆ๋‹ค.

1. ์ทจ์†Œ ๊ฐ€๋Šฅํ•œ ๋ฆฌ๋น™ ํŠธ๋Ÿฌ์ŠคํŠธ(๊ทธ๋ฆฌ๊ณ  ์‹ ํƒ ์ฆ๋ช…์„œ)

2. ์‹ ํƒ ๊ธฐ๊ธˆ (์ฆ‰, ์ฆ์„œ)

3. Pour-Over Will (์‚ฌ๋ง ์‹œ ์žฌ์‚ฐ์„ ์‹ ํƒ์œผ๋กœ "ํˆฌ์ž"ํ•˜์—ฌ ๋ช…์˜๊ฐ€ ๋ณ€๊ฒฝ๋˜ ๊ฑฐ๋‚˜ ์ƒ์ „ ์‹ ํƒ์œผ๋กœ ์ด์ „๋˜์ง€ ์•Š์€ ์ž์‚ฐ์„ ์ฐพ์•„๋‚ด๋„๋ก ๊ณ ์•ˆ๋œ ํŠน์ˆ˜ํ•œ

์œ ์–ธ์žฅ)

4. Durable Powers of Attorney (๋Œ€๋ฆฌ์ธ์—๊ฒŒ ๋ถ€์—ฌ๋œ ๊ถŒํ•œ์€ ๋ณธ์ธ์ด ๋ฌด๋Šฅ

๋ ฅํ•ด์ง€๋”๋ผ๋„ ๊ณ„์† ์œ ์ง€)

5. Advance Health Care Directive (์˜๋ฃŒ ์„œ๋น„์Šค์— ๋Œ€ํ•œ ์ง€์นจ์„ ์ œ๊ณตํ•˜๋ฉฐ

๊ท€ํ•˜๊ฐ€ ๋ณธ์ธ์˜ ํฌ๋ง์„ ์ „๋‹ฌํ•  ์ˆ˜ ์—†๋Š” ๊ฒฝ์šฐ์—๋งŒ ์ ์šฉ)

์ทจ์†Œ ๊ฐ€๋Šฅํ•œ ๋ฆฌ๋น™ ํŠธ๋Ÿฌ์ŠคํŠธ (Revocable Living Trust)๋Š” ์ œ๋Œ€๋กœ ๋œ ์ž๊ธˆ

์œผ๋กœ

๋งŒ๋“ค์–ด์งˆ ๋•Œ ๋ฒ•์›์ƒ์† ์ ˆ์ฐจ๋ฅผ ํ”ผํ•  ์ˆ˜ ์žˆ์Šต๋‹ˆ๋‹ค. ๊ทธ๊ฒƒ์€ ๋” ์ด์ƒ

๋ถ€์ž์™€ ์œ ๋ช…์ธ๋งŒ์„ ์œ„ํ•œ ๊ฒƒ์ด ์•„๋‹™๋‹ˆ๋‹ค.

์บ˜๋ฆฌํฌ๋‹ˆ์•„์—์„œ๋Š” ๊ฐœ์ธ์ด ์ง‘์„ ์†Œ์œ ํ•  ๋•Œ, ์ฃผํƒ์— ๋‹ด๋ณด๋Œ€์ถœ์ด ์žˆ๋Š”์ง€

์—ฌ๋ถ€์— ์ƒ๊ด€์—†์ด, ์ƒ์ „ ์‹ ํƒ์„ ๋งŒ๋“œ๋Š” ๊ฒƒ์„ ๊ฒ€ํ† ํ•˜๋Š” ๊ฒƒ์ด ๋งค์šฐ ๋ฐ”๋žŒ์ง ํ•ฉ๋‹ˆ๋‹ค.

๋‹จ์ง€ ์ทจ์†Œ ๊ฐ€๋Šฅํ•œ ๋ฆฌ๋น™ ํŠธ๋Ÿฌ์ŠคํŠธ๋ฅผ ๋งŒ๋“œ๋Š” ๊ฒƒ๋งŒ์œผ๋กœ๋Š” ์ถฉ๋ถ„ํ•˜์ง€ ์•Š์Šต

๋‹ˆ๋‹ค. ๊ทธ ์ž์‚ฐ์„ ์‹ ํƒ์˜ ์ด๋ฆ„์œผ๋กœ ์ด์ „ํ•˜๋Š” ๊ฒƒ์ด ํ•„์ˆ˜์ ์ž…๋‹ˆ๋‹ค.

๋ถ€๋™์‚ฐ์˜ ๊ฒฝ์šฐ, ์–‘๋„ ์ฆ์„œ์— ์„œ๋ช…ํ•˜์—ฌ ์žฌ์‚ฐ์ด ์žˆ๋Š” ์นด์šดํ‹ฐ์˜ ๊ธฐ๋ก ๋ณด๊ด€

์†Œ๋กœ ๊ธฐ๋กํ•ด์•ผ ํ•ฉ๋‹ˆ๋‹ค.

์ž์‚ฐ์ด ๊ธˆ์œต๊ธฐ๊ด€ ๊ณ„์ขŒ์ธ ๊ฒฝ์šฐ์—๋Š” ์‹ ํƒ๊ณ„์ •์œผ๋กœ ์ด์ „ํ•˜๊ฑฐ๋‚˜ ์ˆ˜ํ˜œ์ž ์ง€

์ •์„ ํ•ด์•ผ ํ•ฉ๋‹ˆ๋‹ค.

์‹ ํƒ์ด ๋งŒ๋“ค์–ด์กŒ๋”๋ผ๋„ ์œ ์–ธ์žฅ ๋˜ํ•œ ํ•„์š”ํ•ฉ๋‹ˆ๋‹ค. ์‚ด์•„ ์žˆ๋Š” ๋™์•ˆ ์ผ๋ถ€

์ž์‚ฐ์ด ์‹ ํƒ์œผ๋กœ ์ด์ „๋˜์ง€ ์•Š์•˜์„ ๊ฒฝ์šฐ์— ๋Œ€๋น„ํ•˜์—ฌ Pour-Over Will์„ ๊ฐ–๋Š” ๊ฒƒ์€ ์ข‹์€ ์ผ์ž…๋‹ˆ๋‹ค.

์˜ˆ๋ฅผ ๋“ค์–ด, 150,000๋‹ฌ๋Ÿฌ๊ฐ€ ๋„˜๋Š” ์€ํ–‰ ๊ณ„์ขŒ๋ฅผ ๊ฐ€์ง€๊ณ  ์žˆ๊ณ , ์‹ ํƒ ์ด๋ฆ„์œผ

๋กœ ๋ช…์˜๋ฅผ ๋ฐ”๊พธ๊ฑฐ๋‚˜ ์ˆ˜ํ˜œ์ž๋ฅผ ์ง€์ •ํ•˜์ง€ ์•Š์•˜๋‹ค๋ฉด, ๊ทธ ๊ณ„์ขŒ๋Š” ๋ฒ•์›์ƒ์†

์ ˆ์ฐจ๋ฅผ ๊ฑฐ์ณ์•ผ ํ•ฉ๋‹ˆ๋‹ค. Pour-Over Will์€ ๊ทธ ๊ณ„์ขŒ๊ฐ€ ์–ด๋–ป๊ฒŒ ๋ถ„๋ฐฐ๋˜์–ด

์•ผ ํ•˜๋Š”์ง€๋ฅผ ๋ฒ•์›์— ์•Œ๋ ค์ค„ ๊ฒƒ์ž…๋‹ˆ๋‹ค.

โ€˜Durable Powers of Attorneyโ€™ ๋ฐ โ€˜Advance Health Care Directiveโ€™ ๊ฐ€ ์ค€๋น„๋˜์–ด ์žˆ๋Š” ๊ฒƒ์ด ๋งค์šฐ ๋ฐ”๋žŒ์งํ•ฉ๋‹ˆ๋‹ค.

์ด ๋‘ ๊ฐ€์ง€ ๋ฌธ์„œ๋Š” ์‚ด์•„์žˆ์„ ๋•Œ ๋‹น์‹ ์„ ์œ„ํ•œ ๊ฒƒ์ด๋ฉฐ ๋Œ€์‹  ํ–‰๋™์„ ์ทจํ• 

๋ˆ„๊ตฐ๊ฐ€๊ฐ€ ํ•„์š”ํ•  ๋•Œ์ž…๋‹ˆ๋‹ค. ์ฒซ์งธ๋Š” ์žฌ์ •์„ ์œ„ํ•œ ๊ฒƒ์ด๊ณ  ๋‘˜์งธ๋Š” ๊ฑด๊ฐ•์„ ์œ„ํ•œ ๊ฒƒ์ž…๋‹ˆ๋‹ค.

์‹ ํƒ ์ค‘์‹ฌ ํฌํŠธํด๋ฆฌ์˜ค๋ฅผ ๋งŒ๋“œ๋Š” ๋ฐ ๊ด€์‹ฌ์ด ์žˆ๋Š” ์‚ฌ๋žŒ์ด ์žˆ์œผ์‹œ๋‹ค๋ฉด ์ž

์‚ฐ ๊ณ„ํš ๋ฐ ์‹ ํƒ, ๋ฒ•์›์ƒ์† ์ ˆ์ฐจ ๋ถ„์•ผ์—์„œ ๊ทน์†Œ์ˆ˜์˜ ๊ณต์ธ ์ „๋ฌธ๊ฐ€ ์ค‘ ํ•œ

๋ช…์ธ ์ƒค๋ก  ์œค ๋ณ€ํ˜ธ์‚ฌ์—๊ฒŒ ๋ฌธ์˜ํ•˜์‹œ๊ธฐ ๋ฐ”๋ž๋‹ˆ๋‹ค. (805-298-0405)

ํ˜•์‚ฌ ์‚ฌ๊ฑด์˜ ์ฒ˜๋ฆฌ ๊ธฐ๊ฐ„์€ ๋ฒ”์ฃ„ ์œ ํ˜•, ๋ฒ•์›

์ผ์ •, ๊ทธ๋ฆฌ๊ณ  ์‚ฌ๊ฑด ์ฒ˜๋ฆฌ๋ฐฉ์‹ (ํ”Œ๋ฆฌ๋”œ vs. ์žฌํŒ)์— ๋”ฐ๋ผ ํฌ๊ฒŒ ๋‹ฌ๋ผ์งˆ ์ˆ˜ ์žˆ์Šต๋‹ˆ๋‹ค.

์ผ๋ฐ˜์ ์ธ ๋ถ„์„์€ ๋‹ค์Œ๊ณผ ๊ฐ™์Šต๋‹ˆ๋‹ค.

1. ๊ฒฝ๋ฒ”์ฃ„ ์‚ฌ๊ฑด (์˜ˆ: ๊ฒฝ๋ฏธ ์ ˆ๋„, ์Œ์ฃผ์šด์ „, ๋‹จ์ˆœ ํญํ–‰)

* ์œ ์ฃ„ ์ธ์ •์ด ์‹ ์†ํ•  ๊ฒฝ์šฐ: 1~3ํšŒ ๋ฒ•์ • ์ถœ๋‘(๋ช‡ ์ฃผ์—์„œ ๋ช‡ ๋‹ฌ)๋กœ ํ•ด๊ฒฐ

๋  ์ˆ˜ ์žˆ์Šต๋‹ˆ๋‹ค.

* ์žฌํŒ์œผ๋กœ ๊ฐˆ ๊ฒฝ์šฐ: ๋ณดํ†ต 3~6๊ฐœ์›”์ด ์†Œ์š”๋ฉ๋‹ˆ๋‹ค.

2. ์ค‘๋ฒ”์ฃ„ ์‚ฌ๊ฑด (์˜ˆ: ์ ˆ๋„, ํ‰๊ธฐ ํญํ–‰, ๋งˆ์•ฝ ๋ฐ€๋งค)

* ํ”Œ๋ฆฌ๋”œ: 2~4๊ฐœ์›” ์•ˆ์— ํ•ด๊ฒฐ๋  ์ˆ˜ ์žˆ์Šต๋‹ˆ๋‹ค.

* ์žฌํŒ์œผ๋กœ ๊ฐˆ ๊ฒฝ์šฐ: ๋ณดํ†ต 6๊ฐœ์›”์—์„œ 1๋…„ ์ด์ƒ ์†Œ์š”๋ฉ๋‹ˆ๋‹ค. ํŠนํžˆ ์‚ฌ๊ฑด์ด ๋ณต์žกํ•œ ๊ฒฝ์šฐ 2๋…„ ์ด์ƒ ์†Œ์š”๋˜๋Š” ๊ฒฝ์šฐ๋„ ์žˆ์Šต๋‹ˆ๋‹ค.

์ผ๋ฐ˜์ ์ธ ํƒ€์ž„๋ผ์ธ ๋‹จ๊ณ„

1. ์ฒดํฌ ๋ฐ ์ž…๊ฑด

2. ๊ธฐ์†Œ(์ฒซ ๋ฒ•์ • ์ถœ๋‘) - ๊ตฌ๊ธˆ ์‹œ 48์‹œ๊ฐ„ ์ด๋‚ด

3. ๊ณตํŒ ์ „ ์‹ฌ๋ฆฌ - ์œ ์ฃ„ ํ˜‘์ƒ, ์ฆ๊ฑฐ ๋“ฑ์— ๋Œ€ํ•œ ๋…ผ์˜

4. ์žฌํŒ(ํ˜‘์ƒ์ด ํƒ€๊ฒฐ๋˜์ง€ ์•Š์€ ๊ฒฝ์šฐ)

5. ์„ ๊ณ (์œ ์ฃ„ ํŒ๊ฒฐ ์‹œ) - ์ฆ‰์‹œ ์ง„ํ–‰๋˜๋Š” ๊ฒฝ์šฐ๋„ ์žˆ๊ณ , ๋ช‡ ์ฃผ ํ›„์— ์ง„ํ–‰๋˜

๋Š” ๊ฒฝ์šฐ๋„ ์žˆ์Šต๋‹ˆ๋‹ค.

์‚ฌ๊ฑด์„ ์ง€์—ฐ์‹œํ‚ฌ ์ˆ˜ ์žˆ๋Š” ์š”์ธ

* ๋ฒ•์› ์‹œ์Šคํ…œ ์ง€์› ๋ถ€์กฑ

* (๋ณ€ํ˜ธ์ธ ๋˜๋Š” ๊ฒ€์ฐฐ ์ธก์˜) ์‹œ๊ฐ„ ์—ฐ์žฅ ์š”์ฒญ

* ๋ณ€ํ˜ธ์‚ฌ ๋ณ€๊ฒฝ

* ์ •์‹  ๊ฑด๊ฐ• ๋˜๋Š” ์—ญ๋Ÿ‰ ํ‰๊ฐ€

* ์ƒˆ๋กœ์šด ์ฆ๊ฑฐ ๋˜๋Š” ์ถ”๊ฐ€ ํ˜์˜

ํŠน์ • ํ˜์˜ ๋˜๋Š” ์ƒํ™ฉ์„ ๋‹ค๋ฃจ๊ณ  ๊ณ„์‹  ๊ฒฝ์šฐ, ์ œ๊ฐ€ ๋” ์ •ํ™•ํ•œ ์ถ”์ •์น˜๋ฅผ ์ œ

๊ณตํ•ด ๋“œ๋ฆด ์ˆ˜ ์žˆ์Šต๋‹ˆ๋‹ค.

๊ฒฝํ—˜ ๋งŽ์€ ๋ณ€ํ˜ธ์‚ฌ๊ฐ€ ํ•จ๊ป˜ํ•˜์‹œ๋ฉด ๋”์šฑ ์•ˆ์ „ํ•˜๊ฒŒ ๋ณดํ˜ธ๋ฐ›์œผ์‹ค ์ˆ˜ ์žˆ์Šต๋‹ˆ ๋‹ค. ๋ณธ์ธ์ด๋‚˜ ๊ฐ€์กฑ์ด ์ฒดํฌ๋˜๊ฑฐ๋‚˜ ์ฒดํฌ ์œ„ํ˜‘์„ ๋ฐ›์„ ๊ฒฝ์šฐ ์ €์—๊ฒŒ ์—ฐ๋ฝํ•ด ์ฃผ์‹ญ์‹œ์˜ค. ์ œ๊ฐ€ ํ•จ๊ป˜ํ•˜๊ฒ ์Šต๋‹ˆ๋‹ค.

๋ฐ๋ณด๋ผ K. ํ™ ๋ณ€ํ˜ธ์‚ฌ 310-560-3873

13์ผ LA ์‹œ์˜ํšŒ์—์„œ

์กด ๋ฆฌ ์‹œ์˜์›์€ โ€œ์˜ค

๋Š” 8์›”15์ผ ๊ด‘๋ณต 80

์ฃผ๋…„์„ ๋งž์•„ ์ „ ์„ธ๊ณ„

ํ•œ์ธ๋“ค๊ณผ ํ•จ๊ป˜ ์กฐ๊ตญ

์˜ ์ฃผ๊ถŒ์„ ๋˜์ฐพ์€ ๊ทธ

๋‚ ์˜ ์šฉ๊ธฐ์™€ ํฌ์ƒ์„

๊ธฐ๋ฆฐ๋‹คโ€๋ฉฐ โ€œ์˜ค๋Š˜

๋‚  KํŒ๋ถ€ํ„ฐ K๋ทฐํ‹ฐ๊นŒ

์ง€ ํ•œ๊ตญ ๋ฌธํ™”๋Š” ์ „ ์„ธ

๊ณ„ ์ˆ˜๋ฐฑ๋งŒ ๋ช…์˜ ์ผ์ƒ

์†์— ์Šค๋ฉฐ๋“ค์–ด ๊ตญ๊ฒฝ

์„ ๋„˜์–ด์„  ์—ฐ๊ฒฐ์„ ๋งŒ๋“ค์–ด๊ฐ€๊ณ  ์žˆ๋‹คโ€๊ณ  ๊ฐ•์กฐํ–ˆ๋‹ค. ์ด์–ด โ€œ๊ด‘๋ณต์ ˆ 80์ฃผ

๋…„์„ ๋งž์•„ ์•ž์œผ๋กœ๋„ ๋ฏธ๊ตญ ๋‚ด ํ•œ์ธ์‚ฌํšŒ๊ฐ€ ์ฃผ๋ฅ˜์‚ฌํšŒ์—์„œ ๋ฌธํ™”๋ฅผ ๋„˜์–ด์„œ

๋Š” ๊ต๋ฅ˜๋ฅผ ์ด์–ด๋‚˜๊ฐ€๊ณ  ์„ฑ์žฅํ•˜๊ธธ ํฌ๋ง ํ•œ๋‹คโ€๊ณ  ๋งํ–ˆ๋‹ค.

์ด๋‚  ํ•œ์ธํšŒ(KAFLA)์˜ ๋กœ๋ฒ„ํŠธ ์•ˆ ํšŒ์žฅ๋„ ์ฐธ์„ํ•ด ๊ด‘๋ณต์ ˆ 80์ฃผ๋…„์˜ ์˜

์˜์— ๋Œ€ํ•ด ์„ค๋ช…ํ–ˆ๋‹ค.

์กด ๋ฆฌ ์‹œ์˜์›์€ ๊ด‘๋ณต์ ˆ์„ ์ถ•ํ•˜ํ•˜๊ธฐ ์œ„ํ•ด ๋ชจ์…˜์„ ์ƒ์ •ํ•ด ๊ด‘๋ณต์ ˆ ์ „์•ผ์ œ

์ธ 14์ผ ๋ฐค๋ถ€ํ„ฐ ๋‹ค์Œ๋‚  ์ƒˆ๋ฒฝ๊นŒ์ง€ LA ์‹œ์ฒญ์„ ํƒœ๊ทน๊ธฐ ์ƒ‰์ธ ๋นจ๊ฐ•, ํŒŒ๋ž‘, ํฐ

์ƒ‰์œผ๋กœ ๋ฐํž ์˜ˆ์ •์ด๋‹ค.

์กด ๋ฆฌ ์‹œ์˜์›์ด ์ƒ์ •ํ•œ ๊ฒฐ์˜์•ˆ์€ 8์›”15์ผ์„ ํ•œ๊ตญ์˜ ๋…๋ฆฝ๊ธฐ๋…์ผ๋กœ ์ธ์ • ํ•˜๊ณ , ์ผ์ œ ๊ฐ•์ ๊ธฐ ๋™์•ˆ ์ฃผ๊ถŒ, ์‹œ๋ฏผ๊ถŒ, ๋ฒ•์น˜์ฃผ์˜์˜ ์ด๋…๊ณผ ์ด์ƒ์„ ์œ„ํ•ด ์šฉ๊ฐํ•˜๊ฒŒ ์‹ธ์šด ํ•œ์ธ ์„ ์กฐ๋“ค์—๊ฒŒ ๊ฒฝ์˜๋ฅผ ํ‘œํ•œ๋‹ค๋Š” ๋‚ด์šฉ์„ ๊ณจ์ž๋กœ ํ•œ๋‹ค.

๋ฌธ์˜: Iris Seok 818-882-1212

SBA 7(a) & 504 ๋ก ์— ๋Œ€ํ•œ ์‹ค์ „ ์ดํ•ด

๋ฐ ๋ถ€๋™์‚ฐ ํˆฌ์ž ์ „๋žต์œผ๋กœ์˜ ํ™œ์šฉ๋ฒ•

๋ฏธ๊ตญ ๋‚ด ํ•œ์ธ ์ž์˜์—…์ž๋‚˜ ํˆฌ์ž์ž๋ถ„๋“ค ์ค‘์—์„œ

๋Š” ์ฐฝ์—… ํ˜น์€ ์ƒ๊ฐ€ ๋งค์ž…์„ ์œ„ํ•ด SBA ๋ก ์„ ๊ณ 

๋ คํ•˜์‹œ๋Š” ๊ฒฝ์šฐ๊ฐ€ ๋งŽ์Šต๋‹ˆ๋‹ค. ๊ทธ๋Ÿฌ๋‚˜ SBA 7(a)

์™€ 504 ๋ก ์˜ ์ฐจ์ด์ , ์Šน์ธ ์กฐ๊ฑด, ํ™œ์šฉ ์ „๋žต ๋“ฑ์— ๋Œ€ํ•ด ์ •ํ™•ํžˆ ์•Œ๊ณ  ๊ณ„์‹ 

๋ถ„๋“ค์€ ๋“œ๋ญ…๋‹ˆ๋‹ค. ๋‘ ํ”„๋กœ๊ทธ๋žจ์˜ ์‹ค๋ฌด์  ์ฐจ์ด์ ๊ณผ ๊ฐ์ž์˜ ์šฉ๋„์— ๋งž๋Š”

์ „๋žต์„ ์ž˜ ์ดํ•ดํ•˜๊ณ  ์ ‘๊ทผํ•˜๋ฉด ๋งŽ์€ ์‚ฌ์—…๊ฐ€๋ถ„๋“ค์˜ ์žฅ๊ธฐ์ ์ธ ํˆฌ์ž์ „๋žต์—

๋งŽ์€ ๋„์›€์ด ๋  ์ˆ˜ ์žˆ์Šต๋‹ˆ๋‹ค.

SBA๋ž€ ๋ฌด์—‡์ธ๊ฐ€?

SBA(Small Business Administration)๋Š” ๋ฏธ๊ตญ ์—ฐ๋ฐฉ์ •๋ถ€ ์‚ฐํ•˜์˜ ์ค‘์†Œ๊ธฐ์—…

์ฒญ์œผ๋กœ, ์†Œ์ƒ๊ณต์ธ ์ง€์›์„ ์œ„ํ•œ ๋ณด์ฆ ๋Œ€์ถœ ํ”„๋กœ๊ทธ๋žจ์„ ์šด์˜ ๊ด€๋ฆฌํ•˜๋Š” ๊ธฐ ๊ด€์ž…๋‹ˆ๋‹ค. ์ง์ ‘ ๋Œ€์ถœ์„ ํ•ด์ฃผ๋Š” ๊ฒƒ์ด ์•„๋‹ˆ๋ผ, ๋ฏผ๊ฐ„ ๊ธˆ์œต๊ธฐ๊ด€์˜ ๋Œ€์ถœ์— ์ •

๋ถ€๊ฐ€ ์ผ์ • ๋ถ€๋ถ„ ๋ณด์ฆ์„ ์„œ์ฃผ๋Š” ๋ฐฉ์‹์ด๊ธฐ ๋•Œ๋ฌธ์—, ๊ธˆ์œต๊ธฐ๊ด€ ์ž…์žฅ์—์„œ๋Š”

๋ชจ๊ธฐ์ง€ ์ „๋ฌธ๊ฐ€, ์ผ€๋นˆ ์˜ค NMLS# 1985037

๋ฆฌ์Šคํฌ๊ฐ€ ์ค„์–ด๋“ค์–ด ์ข€ ๋” ๋งŽ์€ ์ž์˜์—…์ž๋“ค๋„ ์œต์ž๋ฐ›์„ ์ˆ˜ ์žˆ๋„๋ก ๋„์™€

์ฃผ๋Š” ๊ธธ์ด ์—ด๋ฆฌ๊ฒŒ ๋ฉ๋‹ˆ๋‹ค. ๋ฏธ๊ตญ์˜ ์ˆ˜๋งŽ์€ Small Business Owner ๋“ค์ด ์žฌ

์ •์ ์œผ๋กœ ์ž˜ ์ •์ฐฉํ•˜๋„๋ก ์ง€์›ํ•˜๋Š” ๋Œ€ํ‘œ์  ๊ธฐ๊ด€์ž…๋‹ˆ๋‹ค.

7(a) Loan -์ฐฝ์—…/์šด์˜/์ธ์ˆ˜ ๋“ฑ ๋‹ค์–‘ํ•œ ์šฉ๋„์˜ ๋Œ€ํ‘œ SBA ๋ก 

7(a) ๋ก ์€ SBA ํ”„๋กœ๊ทธ๋žจ ์ค‘ ๊ฐ€์žฅ ๊ด‘๋ฒ”์œ„ํ•˜๊ฒŒ ์‚ฌ์šฉ๋˜๋Š” ์ผ๋ฐ˜ ๋Œ€์ถœ์ž…๋‹ˆ

๋‹ค. ํŠนํžˆ ์‚ฌ์—…์ฒด ์ธ์ˆ˜, ์šด์˜์ž๊ธˆ ํ™•๋ณด, ํ”„๋žœ์ฐจ์ด์ฆˆ ์ฐฝ์—…, ๊ธฐ์กด ๋ถ€์ฑ„ ๋ฆฌํŒŒ

์ด๋‚ธ์Šค ๋“ฑ ๊ฑฐ์˜ ๋ชจ๋“  ์‚ฌ์—… ๊ด€๋ จ ๋ชฉ์ ์— ํ™œ์šฉํ•  ์ˆ˜ ์žˆ๋Š” ๊ฒƒ์ด ํŠน์ง•์ž…๋‹ˆ๋‹ค.

u ์ฃผ์š” ์ŠคํŽ™ ์š”์•ฝ:

c ์ตœ๋Œ€ ๋Œ€์ถœ๊ธˆ์•ก: $5,000,000

c ๋Œ€์ถœ ๊ธฐ๊ฐ„: 10~25๋…„ (์šฉ๋„๋ณ„ ์ƒ์ด)

c ์ด์ž์œจ: ๋ณ€๋™๊ธˆ๋ฆฌ (Prime + ๊ฐ€์‚ฐ๊ธˆ๋ฆฌ, ๋ณดํ†ต 8~10% ์ˆ˜์ค€)

c ๋ณด์ฆ๋ฃŒ: ์—ฐ 2~3% ๋‚ด์™ธ (๋Œ€์ถœ ๊ธˆ์•ก์— ๋”ฐ๋ผ ์ฐจ๋“ฑ)

c ๋‹ค์šดํŽ˜์ด๋จผํŠธ: 10~20% ํ•„์š” (์‚ฌ์—… ์ธ์ˆ˜ ์‹œ)

u ์‹ค๋ฌด ํฌ์ธํŠธ:

c ๊ธฐ์กด ์‚ฌ์—…์ฒด ์ธ์ˆ˜ ์‹œ, 3๋…„๊ฐ„์˜ ์„ธ๊ธˆ ๋ณด๊ณ ์„œ์™€ ์†์ต๊ณ„์‚ฐ์„œ(P&L)๋ฅผ

๊ธฐ์ค€์œผ๋กœ ์ˆ˜์ต์„ฑ ๋ถ„์„

c ์‚ฌ์—… ๊ฒฝํ—˜์ด๋‚˜ ์—…์ข… ๊ด€๋ จ์„ฑ์ด ์žˆ์„์ˆ˜๋ก ์Šน์ธ ๊ฐ€๋Šฅ์„ฑ ์ฆ๊ฐ€

c ์ฐฝ์—…์˜ ๊ฒฝ์šฐ, ์‚ฌ์—… ๊ณ„ํš์„œ(Business Plan), ์‹œ์žฅ์กฐ์‚ฌ, ์˜ˆ์‚ฐ๊ณ„ํš ๋“ฑ์ด

๋ฐ˜๋“œ์‹œ ํ•„์š”

504 Loan - ์ƒ์—…์šฉ ๋ถ€๋™์‚ฐ ๊ตฌ์ž…์„ ์œ„ํ•œ ์žฅ๊ธฐ ๊ณ ์ •๊ธˆ๋ฆฌ ์˜ต์…˜

504 ๋ก ์€ ์ƒ์—…์šฉ ๋ถ€๋™์‚ฐ ๊ตฌ์ž… ๋˜๋Š” ์žฅ๊ธฐ ๊ณ ์ •์ž์‚ฐ(๊ธฐ๊ณ„, ์žฅ๋น„ ๋“ฑ) ๊ตฌ๋งค ๋ฅผ ์œ„ํ•ด ์‚ฌ์šฉ๋˜๋Š” ํŠนํ™” ์ƒํ’ˆ์ž…๋‹ˆ๋‹ค. ์ผ๋ฐ˜ ๋ชจ๊ธฐ์ง€์™€ ์œ ์‚ฌํ•˜์ง€๋งŒ, ๋‹ค์šดํŽ˜

์ด๋จผํŠธ๊ฐ€ ๋‚ฎ๊ณ  ๊ธˆ๋ฆฌ ๊ตฌ์กฐ๊ฐ€ ์•ˆ์ •์ ์ด๋ผ๋Š” ์ ์—์„œ ์žฅ์ ์ด ๋งŽ์Šต๋‹ˆ๋‹ค.

u ๊ตฌ์กฐ ์š”์•ฝ:

w ๋Œ€์ถœ ๊ตฌ์กฐ:

w 50% ์€ํ–‰ ๋Œ€์ถœ (1st lien)

w 40% SBA ๋ณด์ฆ CDC ๋Œ€์ถœ (2nd lien)

w 10% ์ž๊ธˆ (Down Payment)

c ๊ธˆ๋ฆฌ: CDC portion์€ ๊ณ ์ •๊ธˆ๋ฆฌ(5%๋Œ€), ์€ํ–‰ portion์€ ์‹œ์žฅ ์ƒํ™ฉ์—

๋”ฐ๋ผ ๋ณ€๋™ ๊ฐ€๋Šฅ

c ์šฉ๋„: ๋ฐ˜๋“œ์‹œ ๋ณธ์ธ ์‚ฌ์—… ์šด์˜ ๋ชฉ์ ์ด์–ด์•ผ ํ•จ (์ˆœ์ˆ˜ ํˆฌ์ž์šฉ ๋ถˆ๊ฐ€)

u ์‹ค๋ฌด ํฌ์ธํŠธ:

c ํด๋ผ์ด์–ธํŠธ๊ฐ€ ๊ฑด๋ฌผ์˜ 51% ์ด์ƒ์„ ์ง์ ‘ ์‚ฌ์šฉํ•  ๊ฒฝ์šฐ๋งŒ ํ•ด๋‹น

c ์›”์„ธ ๋‚ด๋˜ ์‚ฌ์—…์ž๊ฐ€ ์ง์ ‘ ๊ฑด๋ฌผ์„ ๊ตฌ๋งคํ•˜๋ฉด ๊ณ ์ •๋น„ ์ ˆ๊ฐ๊ณผ ์ž์‚ฐ ๊ฐ€

์น˜ ํ™•๋ณด ๊ฐ€๋Šฅ

c ๊ฑด์ถ•์ด ํ•„์š”ํ•œ ๊ฒฝ์šฐ, โ€œ504 Construction Loanโ€ ์˜ต์…˜๋„ ์žˆ์Œ

SBA 7(a) vs 504 Loan ๋น„๊ต ์š”์•ฝ

SBA ๋Œ€์ถœ์€ ๋ณต์žกํ•œ ์Šน์ธ ์ ˆ์ฐจ์™€ ์ž๋ฃŒ ์ค€๋น„๊ฐ€ ํ•„์š”ํ•˜์ง€๋งŒ, ์ผ๋ฐ˜ ์ƒ์—… ๋Œ€

์ถœ ๋Œ€๋น„ ์ด์ž์œจ์ด ๋‚ฎ๊ณ  ์กฐ๊ฑด์ด ์œ ๋ฆฌํ•ฉ๋‹ˆ๋‹ค.

ํŠนํžˆ ์‹ ์šฉ์ ์ˆ˜, ์‚ฌ์—… ๊ฒฝํ—˜, ์„ธ๊ธˆ๋ณด๊ณ  ์‹ ๋ขฐ๋„๊ฐ€ ์ค‘์š”ํ•˜๋ฉฐ, ์€ํ–‰๊ณผ SBA ์Šน ์ธ ๋ชจ๋‘๋ฅผ ํ†ต๊ณผํ•ด์•ผ ํ•˜๋ฏ€๋กœ ๊ฒฝํ—˜ ๋งŽ์€ ์ „๋ฌธ๊ฐ€์™€์˜ ์‚ฌ์ „ ์ƒ๋‹ด์ด ํ•„์ˆ˜์ž… ๋‹ˆ๋‹ค.

SBA program ์„ ์ „๋žต์ ์œผ๋กœ ์ž˜ ํ™œ์šฉํ•ด์„œ ๋” ํฐ ์„ฑ์žฅ์˜ ๋ฐœํŒ์ด ๋˜๊ธธ ๊ธฐ ์›ํ•ฉ๋‹ˆ๋‹ค.

All That Beauty ์Šคํ‚จ์ผ€์–ด & ๋ฐ˜์˜๊ตฌํ™”์žฅ

์ „๋ฌธ ์—์Šคํ…Œํ‹ฐ์…˜ ์†Œํ”ผ์•„ ์›์žฅ์€ ์˜ค๋žœ ํ˜„์žฅ ๊ฒฝํ—˜๊ณผ ์ „๋ฌธ์„ฑ์„ ๋ฐ”ํƒ•์œผ๋กœ

K-Esthetics์˜ ํšจ๊ณผ๋ฅผ ๊ทธ๋Œ€๋กœ ์ „ํ•˜๊ณ  ์žˆ๋‹ค. ํ”ผ๋ถ€ ํƒ€์ž…๊ณผ ๊ณ ๋ฏผ์— ๋งž์ถฐ ์„ค

๊ณ„๋˜๋Š” ํŽ˜์ด์…œ ํ”„๋กœ๊ทธ๋žจ์€ ๋ฏธ๋ฐฑ, ์—ฌ๋“œ๋ฆ„, ํƒ„๋ ฅ, ์ง„์ • ๋“ฑ ๋‹ค์–‘ํ•œ ํ”ผ๋ถ€ ํŠธ

๋Ÿฌ๋ธ” ์ผ€์–ด์— ํŠนํ™”๋˜์–ด ์žˆ์œผ๋ฉฐ, ๊ณ ๊ธฐ๋Šฅ์„ฑ ํ”ผ๋ถ€ ์ธก์ • ๋ฏธ์šฉ์žฅ๋น„๋ฅผ ํ™œ์šฉํ•ด

๋ˆˆ์— ๋„๋Š” ๋ณ€ํ™”๋ฅผ ์ด๋Œ์–ด๋‚ธ๋‹ค. ํŠนํžˆ, ์ฒจ๋‹จ ํ”Œ๋ผ์ฆˆ๋งˆ ๋ฏธ์šฉ์žฅ๋น„๋ฅผ ํ™œ์šฉํ•œ

๊ด€๋ฆฌ๊ฐ€ ๋ˆˆ๊ธธ์„ ๋„๋Š”๋ฐ, ํ”Œ๋ผ์ฆˆ๋งˆ ์—๋„ˆ์ง€๋Š” ์‚ด๊ท ์ž‘์šฉ๊ณผ ํ”ผ์ง€ ์ปจํŠธ๋กค, ์—ฌ

๋“œ๋ฆ„ ์–ต์ œ, ๊ฑด์„ ยท์•„ํ† ํ”ผยท์Šต์ง„ ๋ฐ ํ™๋ฐ˜ ๊ฐœ์„ ์— ๋„์›€์„ ์ฃผ๋ฉฐ, ์—ผ์ฆ์œผ๋กœ

์ธํ•œ ํ‰ํ„ฐ์™€ ์ƒ‰์†Œ ์นจ์ฐฉ ์™„ํ™”์—๋„ ํƒ์›”ํ•œ ํšจ๊ณผ๋ฅผ ๋ณด์ธ๋‹ค. ๋˜ํ•œ ์ฝœ๋ผ๊ฒ ์ƒ

์„ฑ ์ด‰์ง„, ํ”ผ๋ถ€ ํƒ„๋ ฅ ๊ฐ•ํ™”, ์„ธํฌ ์žฌ์ƒ, ํ”ผ๋ถ€ ์žฌ๊ตฌ์„ฑ ๋“ฑ ์žฅ๊ธฐ๊ฐ„ ํ”ผ๋ถ€ ๊ฑด๊ฐ•์—

๊ธ์ •์ ์ธ ๋ณ€ํ™”๋ฅผ ์ค€๋‹ค.

ํ•œ์—ฌ๋ฆ„์˜ ๊ฐ•ํ•œ ์ž์™ธ์„ ์œผ๋กœ ์ธํ•ด ์†์ƒ๋œ ํ”ผ๋ถ€๋Š” ๊ฐ€์„์ด ๋˜๋ฉด ์ˆ˜๋ถ„ ๋ถ€์กฑ

๊ณผ ๊ฑด์กฐํ•จ, ํƒ„๋ ฅ ์ €ํ•˜, ๋ฏธ์„ธ ์ฃผ๋ฆ„์œผ๋กœ ์ด์–ด์ง€๊ธฐ ์‰ฝ๋‹ค. ์—ฌ๊ธฐ์— ํฐ ์ผ๊ต์ฐจ

์™€ ๊ฑด์กฐํ•œ ๋ฐ”๋žŒ์€ ํ”ผ๋ถ€ ์žฅ๋ฒฝ์„ ์•ฝํ™”์‹œ์ผœ ๋ฏผ๊ฐ์„ฑ๊ณผ ํ”ผ๋ถ€ ํŠธ๋Ÿฌ๋ธ”๊นŒ์ง€ ๋™

๋ฐ˜ํ•œ๋‹ค. ์ด์— All That Beauty๋Š” ๊ฐ€์„ ์‹œ์ฆŒ์„ ๋งž์•„ ํ”ผ๋ถ€ ์žฌ์ƒ ์ผ€์–ด๋ฅผ ํŠน

ํžˆ ๊ฐ•์กฐํ•˜๊ณ  ์žˆ๋Š”๋ฐ ํ”ผ๋ถ€ ๊นŠ์ˆ™์ด ๋ณด์Šต ์„ฑ๋ถ„์„ ๊ณต๊ธ‰ํ•ด ํ™˜์ ˆ๊ธฐ ๊ฑด์กฐํ•จ์„

์˜ˆ๋ฐฉ, ํ”Œ๋ผ์ฆˆ๋งˆ ์žฅ๋น„๋ฅผ ํ™œ์šฉํ•ด ๋ฏผ๊ฐํ•ด์ง„ ํ”ผ๋ถ€๋ฅผ ๋น ๋ฅด๊ฒŒ ์•ˆ์ •ํ™”, ์—ฌ๋ฆ„์ฒ 

์ž์™ธ์„  ์†์ƒ์œผ๋กœ ์ธํ•œ ์ƒ‰์†Œ ์นจ์ฐฉ๊ณผ ํƒ„๋ ฅ ์ €ํ•˜๋ฅผ ํšŒ๋ณต ๋“ฑ์œผ๋กœ ํ™˜์ ˆ๊ธฐ๋งˆ

๋‹ค ๋ฐ˜๋ณต๋˜๋Š” ํ”ผ๋ถ€ ๊ณ ๋ฏผ์„ ์˜ˆ๋ฐฉํ•˜๊ณ , ๋ง‘๊ณ  ํƒ„ํƒ„ํ•œ ํ”ผ๋ถ€๋ฅผ ์œ ์ง€ํ•˜๋Š”๋ฐ ํ•ต

์‹ฌ์ ์œผ๋กœ ๊ด€๋ฆฌํ•ด๋“œ๋ฆฐ๋‹ค.

All That Beauty๋Š” ํ”ผ๋ถ€ ๊ด€๋ฆฌ๋ฟ ์•„๋‹ˆ๋ผ ๋ฐ˜์˜๊ตฌํ™”์žฅ ์„œ๋น„์Šค์—์„œ๋„ ํƒ์›” ํ•œ ์‹ค๋ ฅ์„ ์ž๋ž‘ํ•˜๋Š”๋ฐ, ๋ˆˆ์น, ์•„์ด๋ผ์ธ, ํ—ค์–ด๋ผ์ธ, ์ž…์ˆ , SMP(๋‘ํ”ผ ๋ฌธ์‹ ) ๊นŒ์ง€ ์ „๋ฐ˜์ ์ธ ๋ฐ˜์˜๊ตฌ ์‹œ์ˆ ์„ ์ œ๊ณตํ•˜๋ฉฐ, ๊ณ ๊ฐ์˜ ์ธ์ƒ๊ณผ ์ด๋ฏธ์ง€์— ๋งž๋Š” ์„ธ๋ จ๋˜๊ณ  ์ž์—ฐ์Šค๋Ÿฌ์šด ๊ฒฐ๊ณผ๋ฅผ ์™„์„ฑํ•œ๋‹ค. ๋˜ํ•œ ์†๋ˆˆ์น ์—ฐ์žฅ, ๋‘ํ”ผ ์ผ€์–ด, ๋“ฑ ๋“œ๋ฆ„ ๊ด€๋ฆฌ ๋“ฑ ๋‹ค์–‘ํ•œ ํ”„๋กœ๊ทธ๋žจ์„ ํ†ตํ•ด ์•„๋ฆ„๋‹ค์›€๊ณผ ํ”ผ๋ถ€ ๊ฑด๊ฐ•์„ ๋™์‹œ

์— ์ผ€์–ดํ•˜๋Š” ํ† ํ„ธ ๋ทฐํ‹ฐ ๊ณต๊ฐ„์œผ๋กœ ์ž๋ฆฌ๋งค๊น€ํ•˜๊ณ  ์žˆ๋‹ค.

ํ™˜์ ˆ๊ธฐ, ํ”ผ๋ถ€ ๊ด€๋ฆฌ์˜ ๊ณจ๋“ ํƒ€์ž„์„ ์œ„ํ•ด All That Beauty์—์„œ ์˜ฌ๊ฐ€์„, ํ”ผ๋ถ€

๋ณธ์—ฐ์˜ ๊ฑด๊ฐ•๊ณผ ์•„๋ฆ„๋‹ค์›€์„ ๋˜์ฐพ์•„๋ณด์ž. ์˜ˆ์•ฝ ๋ฌธ์˜: 213-268-8900

10315 Woodley Ave. #124, Granada Hills, CA (ํž๋ง๊ตํšŒ ์˜† ๊ฑด๋ฌผ)

โ€œ ๋ฉ”๋””์ผ€์–ด ํŒŒํŠธ A ์™€ ํŒŒํŠธ B์— ๋Œ€ํ•˜์—ฌ โ€

์‹œ๋‹ˆ์–ด ๋ถ„๋“ค์ด ๋ฉ”๋””์ผ€์–ด์— ๊ฐ€์ž…ํ•˜๊ฒŒ ๋˜๋ฉด ๋ฐ›๊ฒŒ ๋˜๋Š” ๋นจ๊ฐ„, ํŒŒ๋ž€, ํ•˜์–€์ƒ‰

์นด๋“œ์— ๋ณด๋ฉด ํŒŒํŠธ A์™€ ํŒŒํŠธ B๊ฐ€ ์ ํ˜€ ์žˆ๊ณ , ํŒŒํŠธ A์—๋Š” Hospital, ํŒŒํŠธ

B ์—๋Š” Medical ์ด๋ผ๊ณ  ์ ํ˜€ ์žˆ๋‹ค. ์ด๋ฏธ ๋งŽ์€ ๋ถ„๋“ค์ด ๋ฉ”๋””์ผ€์–ด ํŒŒํŠธ A

์™€ ํŒŒํŠธ B์— ๋Œ€ํ•ด ์•Œ๊ณ  ์žˆ๊ฒ ์ง€๋งŒ ์ด๋ฒˆ์—” ํŒŒํŠธ A ์™€ ํŒŒํŠธ B์˜ ๋‹ค๋ฅธ ์ ์—

๋Œ€ํ•ด ์ž์„ธํžˆ ๋‹ค๋ค„ ๋ณด๊ณ ์ž ํ•œ๋‹ค.

์ผ๋‹จ ๋‘ ํŒŒํŠธ๋ฅผ ๊ฐ€์ž…ํ•˜๊ธฐ ์œ„ํ•œ ๊ฐ€์ž… ์กฐ๊ฑด์ด ๋‹ค๋ฅธ๋ฐ, ์šฐ์„  ํŒŒํŠธ A๋Š” ์ผ

๋‹จ 65์„ธ๊ฐ€ ๋˜๋ฉด ๊ฐ€์ž…ํ•  ์ˆ˜ ์žˆ๋Š” ์กฐ๊ฑด์ด ๋˜์ง€๋งŒ, ๋ณธ์ธ์˜ ํƒ์Šค ๋ณด๊ณ  ์ ์ˆ˜

์— ๋”ฐ๋ผ ๋ณดํ—˜๋ฃŒ๊ฐ€ ๋‚˜๋ˆ„์–ด์ง„๋‹ค. ๋ณธ์ธ์ด ๋‚ธ, ํƒ์Šค ๋ณด๊ณ  ์ ์ˆ˜๊ฐ€ 40์  (10๋…„)

์ด์ƒ์ด๋ผ๋ฉด ํŒŒํŠธ A๋Š” ๋ฌด๋ฃŒ๋กœ ๋ฐ›์„ ์ˆ˜ ์žˆ์ง€๋งŒ, ํƒ์Šค ๋ณด๊ณ  ์ ์ˆ˜๊ฐ€ 40์ ์ด

์•ˆ ๋˜๋Š” ๊ทธ ์ดํ•˜๋ผ๋ฉด, ๋ณดํ—˜๋ฃŒ๋ฅผ ๋‚ด๊ณ  ์‹ ์ฒญํ•  ์ˆ˜ ์žˆ๋Š” ์ž๊ฒฉ์ด ์ฃผ์–ด์ง„๋‹ค.

๋งŒ์•ฝ ๋ณธ์ธ์ด ๋‚ธ ํƒ์Šค ๋ณด๊ณ  ์ ์ˆ˜๊ฐ€ 30์ ์—์„œ 39์  ์‚ฌ์ด๋ผ๋ฉด ๋งค๋‹ฌ $285

๋ฅผ ๋‚ด๊ณ  ์‹ ์ฒญํ•  ์ˆ˜ ์žˆ๊ณ , 29์  ์ดํ•˜๋ผ๋ฉด ๋งค๋‹ฌ $518์„ ๋‚ด๊ณ  ์‹ ์ฒญ ํ•  ์ˆ˜ ์žˆ๋‹ค.

ํŒŒํŠธ B๋Š” ๋ณธ์ธ์ด 65์„ธ๊ฐ€ ๋˜๊ณ , ํ•ฉ๋ฒ•์ ์ธ ์‹ ๋ถ„์œผ๋กœ 5๋…„ ์ด์ƒ ๋ฏธ๊ตญ์— ๊ฑฐ

์ฃผ ํ–ˆ์œผ๋ฉด ํŒŒํŠธ B๋ฅผ ์‹ ์ฒญํ•  ์ž๊ฒฉ์ด ๋œ๋‹ค. ํŒŒํŠธB๋Š” ๋ชจ๋“  ์‚ฌ๋žŒ๋“ค์ด ๋งค๋‹ฌ $185 (2025๋…„ ๊ธฐ์ค€)์”ฉ ๋‚ด๊ณ  ์‹ ์ฒญํ•ด์•ผ ํ•˜์ง€๋งŒ, ๋ณธ์ธ์˜ ์ธ์ปด์ด ๋งŽ๋‹ค๋ฉด, ๋งค

๋‹ฌ ์ถ”๊ฐ€๋กœ ๋ถ€๊ณผ๋˜๋Š” ๊ธˆ์•ก์ด ์ปค์ง„๋‹ค.

์ œ๊ณต : ์—”์ ค๋ผ ์žฅ ๋ณดํ—˜ (323-707-4242, 213-908-5100)

๊ทธ๋ฆฌ๊ณ  ์ด ์ธ์ปด ๊ธฐ์ค€์€ ๋ณธ์ธ์˜ 2๋…„ ์ „ ํƒ์Šค๋ณด๊ณ ์„œ๋ฅผ ๊ธฐ์ค€์œผ๋กœ ํ•˜๊ธฐ ๋•Œ

๋ฌธ์— ํ˜„์žฌ๋Š” ๋ณธ์ธ ์ธ์ปด์ด ์—†์–ด๋„ ๋งŒ์•ฝ 2๋…„ ์ „์— ์ง‘์„ ํŒ”๊ฑฐ๋‚˜ ํ•ด์„œ ํƒ์Šค

๋ณด๊ณ ๋ฅผ ๋งŽ์ด ํ–ˆ๋‹ค๋ฉด, ๊ทธ์— ๋”ฐ๋ผ ๋ณดํ—˜๋ฃŒ๋ฅผ ๋” ๋‚ด์•ผ ํ•œ๋‹ค. (*๋„ํ‘œ์ฐธ์กฐ)

๊ฐ€์ž… ์กฐ๊ฑด์„ ์•Œ์•„๋ดค์œผ๋‹ˆ ์ด์ œ ๋‘ ํŒŒํŠธ๊ฐ€ ์ œ๊ณตํ•˜๋Š” ํ˜œํƒ์— ๋Œ€ํ•ด ์•Œ์•„๋ณด

๋ฉด, ์ผ๋‹จ ํŒŒํŠธ A์˜ ์ด๋ฆ„์€ Hospital ์ด๋‹ค. ์ง๊ด€์ ์œผ๋กœ ๋ดค์„ ๋•Œ ๋ณ‘์›์— ๊ด€ ํ•œ ํ˜œํƒ์ธ ๊ฒƒ์„ ์•Œ ์ˆ˜ ์žˆ๋‹ค. ์ผ๋‹จ ๋ณ‘์› ์ž…์›์ด ์ด 90์ผ๊นŒ์ง€ ์ปค๋ฒ„๊ฐ€ ๋œ๋‹ค.

๊ทธ ํ›„์— ๋” ์ž…์›ํ•ด์•ผ ํ•œ๋‹ค๋ฉด, ๋” ํ•„์š”ํ•˜๋‹ค๋ฉด lifetime ๊ธฐ์ค€ 60์ผ๊นŒ์ง€ ์ถ”

๊ฐ€๋กœ ์ปค๋ฒ„๋ฅผ ๋ฐ›์„ ์ˆ˜ ์žˆ๋‹ค. ๋˜ํ•œ ๋ณ‘์› ์ž…์›์‹œ ์ง€๋ถˆํ•ด์•ผ ํ•˜๋Š” ๊ธˆ์•ก์€ ์ฒ˜

์Œ ๋””๋•ํ„ฐ๋ธ”์ธ $1,676, ๊ทธ๋ฆฌ๊ณ  60์ผ๊นŒ์ง€๋Š” ์ปค๋ฒ„ ๋˜์ง€๋งŒ 61์ผ๋ถ€ํ„ฐ 90์ผ

๊นŒ์ง€๋Š” ๋งค์ผ $419์”ฉ, ๋˜ํ•œ 91์ผ๋ถ€ํ„ฐ 150์ผ๊นŒ์ง€๋Š” (๋งŒ์•ฝ ์ถ”๊ฐ€์ ์ธ 60

์ผ์„ ์“ด๋‹ค๋ฉด) ๋งค์ผ $838์”ฉ ์ง€๋ถˆํ•ด์•ผ ํ•œ๋‹ค. ๊ทธ๋ฆฌ๊ณ  ์ „๋ฌธ ์š”์–‘ ์‹œ์„ค์ด ์ด

100์ผ ๊นŒ์ง€ ์ปค๋ฒ„๊ฐ€ ๋œ๋‹ค. ๋‹จ, ์ฒ˜์Œ 20์ผ์€ ๋ฉ”๋””์ผ€์–ด๊ฐ€ 100% ์ปค๋ฒ„ํ•˜์ง€ ๋งŒ 21์ผ์งธ๋ถ€ํ„ฐ 100์ผ ๊นŒ์ง€๋Š” ๋งค์ผ $209.50์˜ ๋ณธ์ธ ๋ถ€๋‹ด๊ธˆ์•ก์ด ์žˆ๋‹ค. ๋˜ ํ•œ ๊ฐ€์ • ๋ฐฉ๋ฌธ ํ™ˆ ์ผ€์–ด ์„œ๋น„์Šค๋Š” ํ‡ด์› ํ›„ ์ด 100ํšŒ ๊นŒ์ง€ ์ปค๋ฒ„๊ฐ€ ๋œ๋‹ค. ๋งˆ ์ง€๋ง‰์œผ๋กœ ํ˜ธ์Šคํ”ผ์Šค ์ผ€์–ด ๋˜ํ•œ ์ปค๋ฒ„๊ฐ€ ๋œ๋‹ค. ํ˜ธ์Šคํ”ผ์Šค ์ผ€์–ด๋ž€ ์ฃฝ์Œ์„ ์•ž

๋‘” ๋ถ„๋“ค์ด ๋ฐ›๊ฒŒ ๋˜๋Š” ์„œ๋น„์Šค๋ฅผ ์˜๋ฏธํ•œ๋‹ค.

๋ฉ”๋””์ผ€์–ด ํŒŒํŠธ B์˜ ์ด๋ฆ„์€ Medical ์ด๋‹ค. ๋งŽ์€ ๋ถ„๋“ค์ด ์ด medical์„ ์ €

Health

์†Œ๋“ ๋ณดํ—˜์ธ Medi-Cal๊ณผ ํ˜ผ๋™์„ ํ•˜๋Š”๋ฐ, ํŒŒํŠธ B์—์„œ์˜ medical์€ ๋‹จ์ง€

์˜๋ฃŒ๋ฅผ ๋œปํ•˜๊ณ , ์ €์†Œ๋“ ๋ณดํ—˜์ธ Medi-Cal์€ Medicaid์—์„œ ๋ ๋ถ€๋ถ„๊ณผ ์บ˜

๋ฆฌํฌ๋‹ˆ์•„์˜ ์•ž์ž์ธ CAL์„ ๋”ฐ์„œ Medi-Cal์„ ๋œป ํ•˜๋Š” ๊ฒƒ์ด๋‹ค.

๋ฉ”๋””์ผ€์–ด ํŒŒํŠธ B๋Š” ์šฐ๋ฆฌ๊ฐ€ ํ”ํžˆ ์ƒ๊ฐํ•˜๋Š” ์˜๋ฃŒ ์„œ๋น„์Šค์˜ ๋Œ€๋ถ€๋ถ„์˜

80%๋ฅผ ์ปค๋ฒ„ํ•œ๋‹ค๊ณ  ์ƒ๊ฐํ•˜๋ฉด ๋œ๋‹ค. ๊ทธ ์˜๋ฃŒ ์„œ๋น„์Šค๋“ค์˜ ์˜ˆ๋Š”, ์ฃผ์น˜์˜ ์ „

๋ฌธ์˜ ๋ฐฉ๋ฌธ, ์™ธ๋ž˜์ง„๋ฃŒ, ํ”ผ๊ฒ€์‚ฌ, ์•ฐ๋ทธ๋Ÿฐ์Šค ์„œ๋น„์Šค, ์‘๊ธ‰์‹ค ์„œ๋น„์Šค ๋“ฑ์ด ์žˆ๋‹ค. ์ด์ƒ์˜ ์„ค๋ช…์€ ์˜ค๋ฆฌ์ง€๋‚  ๋ฉ”๋””์ผ€์–ด๋งŒ ๋ณด์œ ํ•˜๊ณ  ์žˆ๋Š” ๋ถ„๋“ค์ด ๋ถ€๋‹ดํ•ด์•ผ

ํ•˜๋Š” ํ•ญ๋ชฉ์ด๋‹ค. ๋ณธ์ธ์ด ๋ถ€๋‹ดํ•ด์•ผํ•  20%๋ฅผ ํ•ด๊ฒฐํ•˜๋Š” ๋ฐฉ๋ฒ•์€ Medicare Supplement ๋ฅผ ๊ฐ€์ž…ํ•ด์„œ 20%๋ฅผ ์ถฉ๋‹นํ•˜๊ฑฐ๋‚˜ ํ”ํžˆ HMO ๋ผ๊ณ  ๋ถ€๋ฅด๋Š”

Medicare part C ์— ๊ฐ€์ž…ํ•˜๋ฉด ๋Œ€๋ถ€๋ถ„์˜ ํ”Œ๋žœ๋“ค์ด ๋” ์ด์ƒ ์˜ ๋ณดํ—˜๋ฃŒ ์—†

์ด Medicare Part D ๊นŒ์ง€ ํฌํ•จํ•˜์—ฌ ์ž…์›์ด๋‚˜, ์ˆ˜์ˆ , ๋˜๋Š” ๋‹ฅํ„ฐ ๋ฐฉ๋ฌธ์ด๋‚˜ ๊ฒ€์‚ฌ๋“ค์„ ์ฝ”- ํŽ˜์ด ์—†์ด ํ•ด๊ฒฐํ•  ์ˆ˜ ์žˆ๋‹ค.

์ œ๊ณต: ์—”์ ค๋ผ ์žฅ ๋ณดํ—˜, ์ „ํ™”: 323-707-4242 , ์‚ฌ๋ฌด์‹ค 213-908-5100

์ฃผ์†Œ: 621 S. Virgil Ave. Unit 203, Los Angeles, CA 90005

Medicare Part B Premium ๋„ํ‘œ

๋ฉ”๋””์นผ,

๋ณ€ํ™” ์ „์— ์‹ ์ฒญํ•˜์„ธ์š”!

์‹œ๋‹ˆ์–ด ๋ฉ”๋””์นผ ๋ฌด๋ฃŒ์‹ ์ฒญ ๋„์™€๋“œ๋ฆฝ๋‹ˆ๋‹ค.

65์„ธ ์ด์ƒ ์‹œ๋‹ˆ์–ด๋“ค์˜ ๋ฉ”๋””์นผ์ž๊ฒฉ์€ ํŒฌ๋ฐ๋ฏน์ดํ›„ ์™„ํ™”๋˜๊ธฐ ์‹œ์ž‘ํ•˜์—ฌ ์ง€

๋‚œํ•ด 2024๋…„ ๋ถ€ํ„ฐ๋Š” ๋ณด์œ ์žฌ์‚ฐ์— ๋Œ€ํ•œ ์ œํ•œ๊ทœ์ •๊นŒ์ง€ ํ์ง€๋˜๋ฉด์„œ ๊ทธ๋™

์•ˆ ๋ฉ”๋””์นผ์„ ๊ฐˆ๊ตฌํ•ด์˜ค๋˜ ๋งŽ์€ ํ•œ์ธ ์‹œ๋‹ˆ์–ด๋“ค์ด ์ž๊ฒฉ์„ ์ทจ๋“ํ•˜์—ฌ ์ง€๊ธˆ๊นŒ

์ง€ ๋ฉ”๋””์นผ ํ˜œํƒ์„ ๋ฐ›์„ ์ˆ˜ ์žˆ๊ฒŒ ๋˜์—ˆ์ง€๋งŒ, 2026๋…„ ํŠธ๋Ÿผํ”„์ •๋ถ€์—์„œ์˜ ์—ฐ๋ฐฉ ์˜ˆ์‚ฐ๊ฐ์ถ• ์ •์ฑ… ๋ฐœํ‘œ์™€ ๋”๋ถˆ์–ด ์บ˜๋ฆฌํฌ๋‹ˆ

์•„ ์ฃผ์ •๋ถ€์—์„œ๋„ ์˜ˆ์‚ฐ๋ถ€์กฑ์œผ๋กœ ์ธํ•œ ์ž์‚ฐ์ œ๋„ ๋ณ€๊ฒฝ์˜ ๋ฉ”๋””์นผ ์ž๊ฒฉ์ •์ฑ…

๋ณ€ํ™”๊ฐ€ ์˜ˆ๊ณ ๋˜์–ด์žˆ์–ด ์ด์ œ ๋ฉ”๋””์นผ์ž๊ฒฉ์˜ ๋ถˆํ™•์‹ค์„ฑ์œผ๋กœ ์ธํ•˜์—ฌ ์—ฌ์ „

ํžˆ ๋ฉ”๋””์นผ์„ ์›ํ•˜์‹œ๋Š” ๋ถ„๋“ค์ด๋ผ๋ฉด ์˜ฌํ•ด์•ˆ์— ์„œ๋‘˜๋Ÿฌ ๋ฉ”๋””์นผ์‹  ์ฒญ์„ ํ•˜๋Š” ๊ฒƒ์ด ์œ ๋ฆฌํ•˜๋‹ค๊ณ  ๋ณผ ์ˆ˜์žˆ์Šต๋‹ˆ๋‹ค. ์–ด๋–ค ๋ณ€ํ™”๋“  ์›

์น™์ ์œผ๋กœ ๊ธฐ์กด ๊ฐ€์ž…์ž์—๊ฒŒ ์†Œ๊ธ‰ํ•ด ์ ์šฉ๋˜๋Š” ์‚ฌ๋ก€๊ฐ€ ๋“œ๋ฌผ๊ธฐ๋•Œ

๋ฌธ์— ์ •์ฑ… ๋ณ€๊ฒฝ์ „์— ๋ฏธ๋ฆฌ ์‹ ์ฒญํ•˜์—ฌ ์ž๊ฒฉ์„ ์–ป๋Š” ๊ฒƒ์ด ์ข‹์€ ๋ฐฉ

๋ฒ•์ž…๋‹ˆ๋‹ค.

๋˜ํ•œ ๊ธฐ์กด ๋ฉ”๋””์นผ ๊ฐ€์ž…์ž๋“ค์˜ ์ž๊ฒฉ์ƒ์‹ค์—ฌ๋ถ€๋Š” 1๋…„๋งˆ๋‹ค

์ ์œผ๋กœ

์ด ์ž๊ฒฉ์œ ์ง€๋ฅผ ํ•˜์‹ค ์ˆ˜ ์žˆ๋„๋ก ๋„์›€์„ ๋“œ๋ฆฝ๋‹ˆ๋‹ค.

KCSS์‹œ๋‹ˆ์–ด ์จ๋น„์Šค์—์„œ ํŠนํžˆ ์‹œ๋‹ˆ์–ด์—๊ฒŒ ๋„์›€๋“œ๋ฆฌ๋Š” ๋‚ด์šฉ์€

์ด์ œ๋Š” ์ธ์ปด์ž๊ฒฉ์ด ๋”์šฑ ์ค‘์š”ํ•˜๊ฒŒ ์ธ์‹๋œ ๋งŒํผ ์†Œ์…œ์ธ์ปด ๋“ฑ ํ˜„์žฌ ์†Œ๋“์ด ์ƒํ•œ์„  ๊ธฐ์ค€์— ์˜ค๋ฒ„๋œ ๊ฒฝ์šฐ ์ดˆ๊ณผ๋œ ๋งŒํผ ๋ดํƒˆ๋ณดํ—˜, PPO๋ณดํ—˜๋“ฑ์˜ ์›” ๊ฑด๊ฐ•๋ณดํ—˜๋น„๋ฅผ ์ง€๋ถˆ์ผ€ ๋„์™€๋“œ๋ ค ์ด์ˆ˜์ž…์„

์ค„์—ฌ ๋ถ„๋‹ด๋น„์šฉ์—†์ด ํ’€๋ฉ”๋””์นผ์„ ๋ฐ›์„ ์ˆ˜ ์žˆ๋„๋ก ๋„์™€๋“œ๋ฆฌ๋ฉฐ ๋˜ํ•œ ๋ถ€๋ถ€์˜ ํ•ฉ์‚ฐ ์ธ์ปด์ด ๋†’์•„ ๋ฉ”๋””์นผ์„ ๋ฐ›์ง€๋ชปํ–ˆ๋˜ ๋ถ„๋“ค ์ค‘์—์„œ ๋ฐฐ์šฐ

์ž์˜ ์งˆ๋ณ‘์œ ๋ฌด ๋˜๋Š” ๋ณ„๊ฑฐ์œ ๋ฌด์— ๋”ฐ๋ผ ๋ฐฐ์šฐ์ž์ค‘ ํ•œ์‚ฌ๋žŒ๋งŒ ์‹ฑ๊ธ€๋กœ ๋ฉ”๋”” ์นผ ์‹ ์ฒญ๊ณผ ์ž๊ฒฉ์ด ๊ฐ€๋Šฅํ•˜๊ฒŒ๋” ๋„์™€๋“œ๋ฆฝ๋‹ˆ๋‹ค.

์‹œ๋‹ˆ์–ด๋ฉ”๋””์นผ ์‹ ์ฒญ์‹œ ํ•„์š”ํ•œ ์„œ๋ฅ˜๋Š” ๊ฐœ์ธID, ์†Œ์…œ์นด๋“œ, ์‹œ๋ฏผ๊ถŒ(๋˜๋Š” ์˜ ์ฃผ๊ถŒ), ์†Œ์…œ์—ฐ๊ธˆSSA Letter(๋ถ„๊ธฐ๋‹น ์†Œ์…œ์˜คํ”ผ์Šค์—์„œ ๋ฐ›์œผ์‹œ๋Š”ํŽธ์ง€), ์€ํ–‰ statement(์†Œ์…œ์—ฐ๊ธˆ ์ž…๊ธˆ ํ™•์ธ์šฉ), Utility Bill(์ „ํ™”๋นŒ ๋˜๋Š” ๊ฐœ์Šค๋นŒ), ๋ฉ” ๋””์ผ€์–ด์นด๋“œ์™€ ๊ธฐ์กด๋ณดํ—˜์นด๋“œ, ํŠนํžˆ ์งˆ๋ณ‘์ง„๋‹จ์„œ(์•”, ํˆฌ์„ ๋“ฑ ์งˆ๋ณ‘ ๋ฌธ์ œ๋‚˜ ์ตœ๊ทผ ํฐ์ˆ˜์ˆ  ๊ฒฝ๋ ฅ์ด ์žˆ๋‹ค๋ฉด)๋ฅผ ์ค€๋น„ํ•˜์‹œ๋ฉด ๋ฉ๋‹ˆ๋‹ค. ์—ฐ๋ฝ์ฒ˜๋Š” KCSS ์‹œ๋‹ˆ์–ด์จ๋น„์Šค๋กœ ์–ธ์ œ๋“  ๋ฌธ์˜ ํ•˜์‹œ๋ฉด ์„ฑ์˜๊ป ์ƒ๋‹ดํ•ด ๋“œ ๋ฆฝ๋‹ˆ๋‹ค. 213-220-6620, 323-628-5376

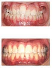
Christopher Chung, DMD

๋‚ด ์ž…์— ๋”ฑ ๋งž๋Š” ์นซ์†” ์ฐพ๊ธฐ

Smile Again Dental Group 818-776-9300

์šฐ๋ฆฌ๊ฐ€ ๋งค์ผ ๋ฌด์‹ฌ์ฝ” ์‚ฌ์šฉํ•˜๋Š” ์นซ์†”์€ ๊ตฌ๊ฐ• ๊ฑด๊ฐ•์˜ ์ฒซ๊ฑธ์Œ์„ ์ฑ…์ž„์ง€

๋Š” ๊ฐ€์žฅ ์ค‘์š”ํ•œ ๋„๊ตฌ์ž…๋‹ˆ๋‹ค. ํ•˜์ง€๋งŒ โ€œ์–ด๋–ค ์นซ์†”์ด ์ข‹์€ ์นซ์†”์ผ๊นŒ?โ€, โ€œ์–ผ๋งˆ๋‚˜ ์˜ค๋ž˜ ์“ฐ๋ฉด ๋ฐ”๊ฟ”์•ผ ํ• ๊นŒ?โ€์— ๋Œ€ํ•ด ์ •ํ™•ํžˆ ์•„๋Š” ์‚ฌ๋žŒ์€ ๋งŽ์ง€

์•Š์Šต๋‹ˆ๋‹ค.

์ž˜๋ชป๋œ ์นซ์†” ์„ ํƒ์ด๋‚˜ ๊ต์ฒด์‹œ๊ธฐ๋ฅผ ๋†“์น˜๋ฉด ์น˜์•„์™€ ์ž‡๋ชธ ๊ฑด๊ฐ•์— ์˜คํžˆ๋ ค ํ•ด๊ฐ€ ๋  ์ˆ˜ ์žˆ์Šต๋‹ˆ๋‹ค. ์ด๋ฒˆ ๊ธ€์—์„œ๋Š” ์นซ์†” ๊ณ ๋ฅด๋Š” ๋ฒ•๋ถ€ํ„ฐ ์˜ค๋ž˜ ์‚ฌ์šฉํ–ˆ์„ ๋•Œ ์ƒ๊ธฐ๋Š” ๋ณ€ํ™”, ๊ทธ๋ฆฌ๊ณ  ๊ด€๋ฆฌ ๋ฐฉ๋ฒ•๊นŒ์ง€ ๊ผผ๊ผผํžˆ ์‚ดํŽด๋ณด๊ฒ ์Šต๋‹ˆ๋‹ค.

1. ์นซ์†”์„ ๊ณ ๋ฅด๋Š” ๊ธฐ์ค€

(1) ๋ชจ์˜ ๊ตต๊ธฐ์™€ ๊ฐ•๋„

๋Œ€๋ถ€๋ถ„์˜ ์‚ฌ๋žŒ์—๊ฒŒ ๋ถ€๋“œ๋Ÿฌ์šด ๋ชจ(Soft bristle)๋ฅผ ๊ถŒ์žฅ๋ฉ๋‹ˆ๋‹ค. ์ž‡๋ชธ ์†์ƒ

์œ„ํ—˜์ด ์ ๊ณ  ์น˜์•„ ํ‘œ๋ฉด์˜ ํ”Œ๋ผํฌ๋ฅผ ๋ถ€๋“œ๋Ÿฝ๊ฒŒ ์ œ๊ฑฐํ•ฉ๋‹ˆ๋‹ค.

์ค‘๊ฐ„ ๋˜๋Š” ๋‹จ๋‹จํ•œ ๋ชจ(Medium, Hard bristle) ๋Š” ์น˜์•„ ์ฐฉ์ƒ‰(์ปคํ”ผ, ํก์—ฐ ๋“ฑ)

์ด ์‹ฌํ•œ ๊ฒฝ์šฐ ๋„์›€์ด ๋  ์ˆ˜ ์žˆ์œผ๋‚˜, ์žฅ๊ธฐ๊ฐ„ ์‚ฌ์šฉ ์‹œ ์—๋‚˜๋ฉœ (์น˜์•„ ๊ฒ‰ ํ‘œ๋ฉด

์ธ ๋ฒ•๋ž‘์งˆ) ๋งˆ๋ชจ์™€ ์ž‡๋ชธํ‡ด์ถ•์„ ์œ ๋ฐœํ•  ์ˆ˜ ์žˆ์Šต๋‹ˆ๋‹ค. ์น˜๊ณผ์˜์‚ฌ ์ง€์‹œ์— ๋”ฐ

๋ผ ์ œํ•œ์ ์œผ๋กœ ์‚ฌ์šฉํ•ด์•ผ ํ•ฉ๋‹ˆ๋‹ค. ๋˜ํ•œ ์นซ์†”์งˆ์€ ์„ธ๊ฒŒ ๋‹ฆ๋Š” ๊ฒƒ๋ณด๋‹ค โ€˜์˜ฌ

๋ฐ”๋ฅธ ๋ฐฉ๋ฒ•์œผ๋กœ ๊ผผ๊ผผํžˆโ€™ ๋‹ฆ๋Š” ๊ฒƒ์ด ์ค‘์š”ํ•ฉ๋‹ˆ๋‹ค. ๋”ฐ๋ผ์„œ ๋Œ€๋ถ€๋ถ„์€ soft bristle ์นซ์†”์„ ์‚ฌ์šฉํ•˜๋Š” ๊ฒƒ์ด ๊ฐ€์žฅ ์•ˆ์ „ํ•ฉ๋‹ˆ๋‹ค.

(2) ํ—ค๋“œ ํฌ๊ธฐ

๊ตฌ์น˜๋ถ€(์–ด๊ธˆ๋‹ˆ) ๊นŠ์€ ๊ณณ๊นŒ์ง€ ๋‹ฟ์•„ ์„ธ์ • ํšจ๊ณผ๋ฅผ ๋†’์ด๊ธฐ ์œ„ํ•ด์„ , ์†Œํ˜• ํ—ค

๋“œ๋ฅผ ์‚ฌ์šฉํ•˜๋Š” ๊ฒƒ์„ ๊ถŒ์žฅํ•˜๊ณ . ์–ด๋ฆฐ์ด, ์—ฌ์„ฑ, ์ž…์ด ์ž‘์€ ํ™˜์ž์—๊ฒŒ ์ ํ•ฉ ํ•ฉ๋‹ˆ๋‹ค.

๋Œ€ํ˜• ํ—ค๋“œ๋Š” ๋‹ฆ๋Š” ๋ฉด์ ์ด ๋„“์–ด ๋น ๋ฅด๊ฒŒ ๋‹ฆ์„ ์ˆ˜ ์žˆ์ง€๋งŒ, ๊ตฌ์„๊ตฌ์„ ๋‹ฟ๊ธฐ

์–ด๋ ค์šธ ์ˆ˜ ์žˆ์Šต๋‹ˆ๋‹ค. ๊ทธ๋ž˜์„œ, ์„ฑ์ธ ๋Œ€๋ถ€๋ถ„์€ ์†Œํ˜• ๋˜๋Š” ์ค‘๊ฐ„ ํฌ๊ธฐ ํ—ค๋“œ ๊ฐ€ ๋” ํšจ๊ณผ์ ์ž…๋‹ˆ๋‹ค.

(3) ํŠน์ˆ˜ ์นซ์†”์˜ ํ•„์š”์„ฑ ๊ต์ • ํ™˜์ž: ๊ต์ • ๋ธŒ๋ผ์ผ“ ์ฃผ๋ณ€ ์„ธ์ •์ด ๊ฐ€๋Šฅํ•œ ๊ต์ • ์ „์šฉ ์นซ์†”, ์น˜๊ฐ„ ์นซ์†”, ์›Œํ„ฐํ”ฝ ๋“ฑ์˜ ๋ณด์กฐ๋„๊ตฌ ํ•„์š”.

์น˜์ฃผ์งˆํ™˜ ํ™˜์ž: ์น˜์€ ํ‡ด์ถ• ๋ถ€์œ„ ์ฒญ์†Œ๋ฅผ ์œ„ํ•œ ๋‹จ๋‘์นซ์†” (end-tuft brush) ์ด๋‚˜ ์ดˆ๊ทน์„ธ๋ชจ ์นซ์†” ์ถ”์ฒœ.

์ž„ํ”Œ๋ž€ํŠธ ํ™˜์ž : ์ผ๋ฐ˜ ์นซ์†” + ์น˜๊ฐ„ ์นซ์†”, ์›Œํ„ฐํ”ฝ ๋ณ‘ํ–‰ ์‹œ ์„ธ์ • ํšจ๊ณผ๊ฐ€ ํƒ์›”.

2. ์นซ์†”์„ ์˜ค๋ž˜ ์“ฐ๋ฉด ์ƒ๊ธฐ๋Š” ๋ณ€ํ™” (1) ์นซ์†”๋ชจ์˜ ํ˜•ํƒœ ๋ณ€ํ™”

์ƒˆ ์นซ์†”์€ ๋์ด ๋พฐ์กฑํ•˜๊ฒŒ ๊ฐ€๊ณต๋˜์–ด ์žˆ์–ด ์น˜์•„์™€ ์ž‡๋ชธ์— ๋ถ€๋“œ๋Ÿฝ๊ฒŒ ๋‹ฟ์Šต ๋‹ˆ๋‹ค. ํ•˜์ง€๋งŒ, ํ‰๊ท ์ ์œผ๋กœ ์•ฝ 2~3๊ฐœ์›” ์ด์ƒ ์‚ฌ์šฉํ•˜๋ฉด ๋ชจ๊ฐ€ ๋ฒŒ์–ด์ง€๊ณ  ํœ˜

์–ด์ง€๋Š” ํ˜„์ƒ์ด ์žˆ์œผ๋ฉฐ, ์„ธ์ •๋ ฅ์ด 30-40% ๊ฐ์†Œ๋œ๋‹ค๊ณ  ์•Œ๋ ค์ ธ ์žˆ์Šต๋‹ˆ

๋‹ค ํ•ฉ๋‹ˆ๋‹ค. ์ด๋ ‡๊ฒŒ ๋ฒŒ์–ด์ง„ ๋ชจ๋Š” ์„ธ์ •๋ ฅ์ด ์ €ํ•˜๋˜๋Š” ๊ฒƒ ๋ฟ ๋งŒ ์•„๋‹ˆ๋ผ, ์น˜ ์•„ ์‚ฌ์ด์™€ ์ž‡๋ชธ์„ (plaque prone area) ์„ ์ œ๋Œ€๋กœ ์ฒญ์†Œํ•˜์ง€ ๋ชปํ•ฉ๋‹ˆ๋‹ค.

(2) ์„ธ๊ท  ๋ฒˆ์‹

์นซ์†”์€ ํ•ญ์ƒ ์Šตํ•œ ํ™˜๊ฒฝ์— ๋†“์ด๊ธฐ ๋•Œ๋ฌธ์— ์„ธ๊ท  ์ฆ์‹์ด ์‰ฝ์Šต๋‹ˆ๋‹ค. ํŠนํžˆ ์˜ค ๋ž˜ ์‚ฌ์šฉ์„ ํ•ด์„œ ์ƒ๊ธด ๋ชจ๊ฐ€ ๋ฒŒ์–ด์ง„ ์นซ์†”์€ ํ‘œ๋ฉด์ ์ด ๋„“์–ด์ ธ ์„ธ๊ท ์ด ๋” ์ž˜ ๋‹ฌ๋ผ๋ถ™์Šต๋‹ˆ๋‹ค.

์—ฐ๊ตฌ์— ๋”ฐ๋ฅด๋ฉด ์˜ค๋ž˜๋œ ์นซ์†”์€ ๊ตฌ๊ฐ• ๋‚ด ์„ธ๊ท  ์žฌ๊ฐ์—ผ์˜ ์›์ธ์ด ๋  ์ˆ˜ ์žˆ์œผ ๋ฉฐ, ์ž‡๋ชธ๋ณ‘์ด๋‚˜ ๊ตฌ๋‚ด์—ผ ๋ฐœ์ƒ ์œ„ํ—˜์„ ๋†’์ž…๋‹ˆ๋‹ค. ๋˜, ์˜ค๋ž˜๋œ ์นซ์†”๋ชจ๋Š” ๋

์ด ๋ญ‰๋šํ•ด์ ธ์„œ ๋‹ฆ์„ ๋•Œ ๋ถ€๋“œ๋Ÿฝ์ง€ ์•Š๊ณ  ๋งˆ์ฐฐ์ด ๊ฐ•ํ•ด์ง‘๋‹ˆ๋‹ค. ์ด๋กœ ์ธํ•ด ์ž‡ ๋ชธ์ด ๊ธํžˆ๊ฑฐ๋‚˜ ๋ฏธ์„ธํ•œ ์ƒ์ฒ˜๊ฐ€ ์ƒ๊ฒจ ์ถœํ˜ˆ, ํ†ต์ฆ, ์ž‡๋ชธํ‡ด์ถ• ์ด ์œ ๋ฐœ๋  ์ˆ˜

์žˆ์Šต๋‹ˆ๋‹ค.

์ด๋ฏธ ๋‹ณ์€ ์นซ์†”์„ ์˜ค๋ž˜ ์“ฐ๋ฉด, ํ™˜์ž ์Šค์Šค๋กœ๋Š” "์–‘์น˜ ์ž˜ํ•˜๊ณ  ์žˆ๋‹ค"๊ณ  ์ƒ๊ฐ ํ•˜์ง€๋งŒ ์‹ค์ œ๋กœ๋Š” ์น˜ํƒœ ์ œ๊ฑฐ๊ฐ€ ์ œ๋Œ€๋กœ ๋˜์ง€ ์•Š์Šต๋‹ˆ๋‹ค. ์ด๋กœ ์ธํ•ด ์ถฉ์น˜์™€ ์น˜์ฃผ์—ผ์ด ์„œ์„œํžˆ ์ง„ํ–‰๋  ์ˆ˜ ์žˆ์Šต๋‹ˆ๋‹ค.

3. ์นซ์†” ๊ต์ฒด์˜ ์ ์ ˆํ•œ ์‹œ๊ธฐ

์นซ์†” ๊ต์ฒด ์ผ๋ฐ˜ ๊ถŒ์žฅ์€ 3๊ฐœ์›”๋งˆ๋‹ค ๊ต์ฒดํ•˜๋Š” ๊ฒƒ์„ ์ถ”์ฒœํ•ฉ๋‹ˆ๋‹ค. ํ•˜์ง€๋งŒ

์นซ์†”๋ชจ๊ฐ€ ์ผ์ฐ ๋ฒŒ์–ด์ง€๊ฑฐ๋‚˜ ๋‹ณ์€ ๊ฒฝ์šฐ๋Š” ์ฆ‰์‹œ ๊ต์ฒดํ•˜๋Š” ๊ฒƒ์„ ๊ถŒ์žฅ ๋“œ๋ฆฌ ๊ณ , ๋…๊ฐ, ๊ฐ๊ธฐ, ๊ตฌ๊ฐ• ๋‚ด ๊ฐ์—ผ ์น˜๋ฃŒ ํ›„์—๋Š” ํŠนํžˆ๋‚˜ ์žฌ๊ฐ์—ผ ๋ฐฉ์ง€๋ฅผ ์œ„ํ•ด ์ƒˆ

์นซ์†” ์‚ฌ์šฉํ•˜์‹ญ์‹œ์˜ค.

์†Œ์•„ ํ™˜์ž๋Š” ์นซ์†”์„ ์”น๋Š” ์Šต๊ด€์ด ๋งŽ์•„ ๋ชจ๊ฐ€ ๋” ๋นจ๋ฆฌ ๋‹ณ์œผ๋ฏ€๋กœ 1~2๊ฐœ์›” ๋งˆ๋‹ค ๊ต์ฒด๊ฐ€ ํ•„์š”ํ•˜๋ฉฐ, ์ˆ˜์‹œ๋กœ ์นซ์†”๋ชจ๋ฅผ ํ™•์ธํ•˜์—ฌ ๊ต์ฒดํ•˜๋Š” ๊ฒƒ์„ ๊ถŒ์žฅ ๋“œ๋ฆฝ๋‹ˆ๋‹ค.

4. ์นซ์†” ๊ด€๋ฆฌ๋ฒ•

์‚ฌ์šฉ ํ›„ ์นซ์†”์„ ํ๋ฅด๋Š” ๋ฌผ์— ๊นจ๋—์ด ํ—น๊ตฌ๊ณ , ์Šต๊ธฐ๊ฐ€ ๋น ์ง€๋„๋ก ์„ธ์›Œ์„œ ๋ณด ๊ด€ํ•ฉ๋‹ˆ๋‹ค.

์—ฌ๋Ÿฌ ๊ฐœ์˜ ์นซ์†”์„ ๋ถ™์—ฌ ๋ณด๊ด€ํ•˜์ง€ ๋ง๊ณ , ํ™˜๊ธฐ ์ž˜ ๋˜๋Š” ๊ณณ์— ๋‘๋ฉฐ, ์นซ์†” ์บก ์€ ์ด๋™ ์‹œ๋งŒ ์‚ฌ์šฉํ•˜๊ณ , ์ง‘์—์„œ๋Š” ํ†ตํ’์ด ์ž˜ ๋˜๋„๋ก ๊ฐœ๋ฐฉ ๋ณด๊ด€์ด ์œ„์ƒ์  ์ž…๋‹ˆ๋‹ค.

๋ฉ”๋””์ผ€์–ด ์ „๋ฌธ ์ƒ๋‹ด๊ฐ€

์กฐ์•ค ํ™์ด ์•Œ๋ ค๋“œ๋ฆฝ๋‹ˆ๋‹ค.

๋ฌธ์˜ : ์กฐ์•คํ™ (818) 606-9486

10/15/2025-12/07/2025 :

์—ฐ์ค‘ ๋ฉ”๋””์ผ€์–ด ๋ณ€๊ฒฝ๊ธฐ๊ฐ„ (Medicare Annual Enrollment Period (AEP) ์ž… ๋‹ˆ๋‹ค. ๋ฒŒ์จ 1๋…„์ด ์ง€๋‚˜์„œ ํ•œ๋‹ฌ ํ›„๋ฉด AEP ๊ธฐ๊ฐ„์ด ๋Œ์•„ ์˜ต๋‹ˆ๋‹ค.

์•„๋ฌด๊ฑฐ๋‚˜ ๋ฌผ์–ด ๋ณด์„ธ์š”?

๋ฉ”๋””์ผ€์–ด ๋ฟ๋งŒ ์•„๋‹ˆ๋ผ ์—ฌ๋Ÿฌ๊ฐ€์ง€ ์งˆ๋ฌธ์„ ํ•˜์‹ญ๋‹ˆ๋‹ค.

9์›” ๋ถ€ํ„ฐ 12์›”๊นŒ์ง€ ๋ฐธ๋ฆฌ ๊ฐค๋Ÿฌ๋ฆฌ์•„ ๋งˆ์ผ“์—์„œ ๋งค์ฃผ ํ† ์š”์ผ

12์‹œ์—์„œ 4์‹œ๊นŒ์ง€ ์žˆ์„ ์˜ˆ์ • ์ž…๋‹ˆ๋‹ค.

๋ฉ”๋””์ผ€์–ด์— ๊ด€ํ•ด ๊ถ๊ธˆํ•œ์  ์žˆ์œผ์‹ 

๋ถ„๋“ค์€ ์˜ค์…”์„œ ๋ฌผ์–ด ๋ณด์‹œ๋ฉด ๋‹ต ๋“œ๋ ค

์š”. ๊ฐ€๋Šฅํ•˜๋ฉด ๋ฌธ์ž๋‚˜ ์ „ํ™” (818606-9486) ๋กœ ์•ฝ์†ํ•˜๊ณ  ์˜ค์‹œ๋ฉด ํŽธ ํ•ด์š”

๋ฉ”๋””์ผ€์–ด ํŒŒํŠธ Bํ”„๋ฆฌ๋ฏธ์—„ :

์งˆ๋ฌธ 1)

๋ฉ”๋””์ผ€์–ด ํŒŒํŠธ B ํ”„๋ฆฌ๋ฏธ์—„์ด ํ•œ๋‹ฌ์— $185.00 ์ด์˜€์ง€๋งŒ ์ œ ๊ฐ€ ๋“ฑ๋กํ•œ ๋ณดํ—˜ํ”Œ๋žœ์ด $174.70 ์ •๋„ ๋„์™€์ค˜์„œ ๋งค๋‹ฌ $10.30

๋งŒ ๋ƒˆ์–ด์š”. ๋ถ€๋ถ€๋ผ์„œ ๋„์›€์ด ์ปธ์–ด์š”.

์ €๋Š” 2026๋…„๋„์—๋„ ๊ฐ™๊ฑฐ๋‚˜ ๋น„์ˆซํ•œ ํ”Œ๋žœ์œผ๋กœ ๊ฐ€๋ ค๊ณ  ํ•ด์š”. ์ฃผ์œ„์—์„œ๋Š” ๋ณดํ—˜ํšŒ์‚ฌ๊ฐ€ ์ž‘์•„์„œ ํฌ๊ฒŒ ์•„ํ”Œ๋•Œ๋Š” ๋ถˆ์ด์ต์ด ์žˆ ์„๊บผ๋ผ๊ณ ๋“ค ํ•ด์š”. ์‚ฌ์‹ค์ธ๊ฐ€์š”?

๋‹ต1) ์šฐ์„  ๊ฐ€์ง€๊ณ  ์žˆ๋Š” ํ”Œ๋žœ์ด ๋งˆ์Œ์— ๋“ค์—ˆ๋‹ค๋‹ˆ ๋‹คํ–‰์ด์—์š”. 10์›” ์ค‘์ˆœ ์— ํ™•์‹คํ•œ ๋ฐœํ‘œ๋ฅผ ํ•˜๊ฒ ์ง€๋งŒ ํ”„๋ฆฌ๋ฏธ์—„์ด $206.50์œผ๋กœ 2026๋…„์— ์˜ฌ๋ผ ๊ฐˆ ๊ฒƒ์ด๋ผ๊ณ  ํ•ด์š” . ๋ถ€๋ถ€๋ผ๋ฉด ๋งค๋‹ฌ $413.00์ด์—์š”. ๋ถ€๋‹ด ๋˜๋Š” ๋ถ„๋“ค ๋งŽ์„๊บผ

Health

์—์š”. ๊ทธ๋ž˜์„œ ๋ณดํ—˜ํšŒ์‚ฌ๊ฐ€ ํ”„๋ฆฌ๋ฏธ์—„์„ ๋„์™€์ฃผ๋Š” ๋ฆฌ๋ฒ ์ดํŠธ ํ”Œ๋žœ์— ๋งŽ์ด

๋“ฑ๋กํ• ๊ฒƒ ๊ฐ™์•„์š”.

์ž‘์€ ๋ณดํ—˜ํšŒ์‚ฌ๋ผ๊ณ  ํ•ด๋„ ๋ฉ”๋””์ผ€์–ด๊ฐ€ ๋“ฑ๋ก์„ ์Šน์ธํ•œ ํšŒ์‚ฌ๋“ค์ด์—์š”. ๊ฑด

๊ฐ•ํ•˜๊ณ  ๋ณ‘์›์— ์ž์ฃผ ์•ˆ๊ฐ€๋Š” ๋ถ„, ํ•œ๊ตญ ๋ถ„๋“ค์ด ํ•˜๋Š” ๋ฉ”๋””์นผ ๊ทธ๋ฃน์„ ์„ ํƒ ํ•œ๋‹ค๋ฉด ๋น„์ˆซํ•œ ํ”Œ๋žœ์œผ๋กœ ๊ฐ€์…”๋„ ๋ ๊บผ์˜ˆ์š”.

์ „์—๋„ ๋ง์”€ ๋“œ๋ ธ์ง€๋งŒ ๋ณธ์ธ์—๊ฒŒ ๋„์›€์ด ๋˜๊ณ  ํ•„์š”ํ•œ ๊ฑธ ์ฃผ๋Š” ๋ณดํ—˜ํ”Œ๋žœ

์ด ์ข‹์€ ๋ณดํ—˜์ด๋ผ๊ณ  ์ƒ๊ฐํ•ด์š”. ์ฐธ๊ณ ๋กœ ์•ฝ ๋””๋•ํ„ฐ๋ธ” : $615 (up from $590 in 2025),

๋งฅ์‹œ๋ฉˆ ์•ฝ๊ฐ’: $2,100 (up from $2,000 in 2025)์œผ๋กœ์˜ฌ๋ผ ๊ฐ”์Šต๋‹ˆ๋‹ค

๋ณดํ—˜ํšŒ์‚ฌ์—์„œ ์˜ค๋Š” ํŽธ์ง€, ์ด๋ฉ”์ผ, ์ „ํ™”

์งˆ๋ฌธ2)

๋งค๋…„ 9์›”๋‹ฌ์— ๋ณดํ—˜ํšŒ์‚ฌ์—์„œ ํ”Œ๋žœ์— ๊ด€ํ•ด ํŽธ์ง€๊ฐ€ ์˜ค๋Š”๋ฐ ๊ทธ๋ƒฅ ๋ฒ„๋ ค์š”. ์ด ํŽธ์ง€๋‚ด์šฉ์€ ๋ญ”๊ฐ€์š”?

๋‹ต 2) ๋ฉ”๋””์ผ€์–ด ํ”Œ๋žœ์€ ๋งค๋…„ ๋ณ€๊ฒฝ์ด ๋˜๊ณ  ๋ณดํ—˜ํšŒ์‚ฌ๋Š” ์†๋‹˜๋“ค์—๊ฒŒ ๋ณ€ ๊ฒฝ์‚ฌํ•ญ์„ ์•Œ๋ ค์ค˜์•ผ ํ•ด์š” . ๋งค๋…„ 9์›”์ฏค์— Medicare Annual Notice of Change (ANOC) ํŽธ์ง€๋ฅผ ๋ณด๋ƒ…๋‹ˆ๋‹ค. ๋ณ€๊ฒฝ์‚ฌํ•ญ์ด ์žˆ๋‹ค๋Š” ํ†ต์ง€๋‹ˆ๊นŒ ๋ฒ„๋ฆฌ

์ง€ ๋งˆ์‹œ๊ณ  ์ฝ์–ด ๋ณด์…”์•ผ ํ•ด์š”. ์•„๋‹ˆ๋ฉด ์—์ด์ „ํŠธ์—๊ฒŒ ์—ฐ๋ฝํ•ด์„œ ์„ค๋ช… ๋ถ€ ํƒํ•˜์„ธ์š”.

์งˆ๋ฌธ 3)

์š”์ฆˆ์Œ ๋ณดํ—˜ํšŒ์‚ฌ์—์„œ ํŽธ์ง€, ์ „ํ™”, ์ด๋ฉ”์ผ ๋“ฑ๋“ฑ ๋งค์ผ ์—ฐ๋ฝ์ด

์™€์š”. ์ค‘์š”ํ•œ ๋‚ด์šฉ์ธ์ง€ ๋ชฐ๋ผ์„œ ๋‹ต์„ ์•ˆํ•˜๊ธฐ๋„, ๋‹ต์„ ํ•˜

๋ ค๋‹ˆ ๋„ˆ๋ฌด ๋งŽ์ด ์™€์„œ ์ŠคํŠธ๋ ˆ์Šค๊ฐ€ ์Œ“์—ฌ์š”.

์ œ๊ฐ€ ๋“ฑ๋กํ•œ A ๋ณดํ—˜ํšŒ์‚ฌ๋Š” ๋งค์ผ ์—ฐ๋ฝ์ด ์™€์š”. ์˜์–ด๋„ ์ž˜

๋ชปํ•˜๋Š”๋ฐ ์–ด๋–ป๊ฒŒ ํ•˜๋‚˜์š” ใ… ใ… ?

๋‹ต 3) ์ด ์งˆ๋ฌธ์€ ์˜ฌํ•ด ๋งŽ์ด ๋ฐ›๊ณ  ์žˆ์–ด์š”. ์ •๋‹ต์€ ~๊ทธ๋ƒฅ ๋ฌด์‹œํ•˜๊ณ  ๋‹ต ํ•˜

์ง€ ๋งˆ์‹œ๋ผ๊ณ  ์กฐ์–ธ ํ•ฉ๋‹ˆ๋‹ค. ์ด์œ ๋Š” ๋ชจ๋ฅด์ง€๋งŒ A ๋ณดํ—˜ํšŒ์‚ฌ๋Š” ๋„๊ฐ€ ๋„˜๋Š” ๊ฒƒ ๊ฐ™์•„์š”. ์†๋‹˜์ด ๋ฉค๋ฒ„ ์„œ๋น„์Šค์— ์ค‘์ง€์š”์ฒญ์„ ํ•ด๋„ ๊ณ„์†ํ•ฉ๋‹ˆ๋‹ค.

2026๋…„ ๋ฉ”๋””์ผ€์–ด ํ”Œ๋žœ

์งˆ๋ฌธ 4)

2026๋…„์€ ํ”Œ๋žœ์— ๊ด€ํ•ด ์•„๋Š”๊ฒƒ ์žˆ์œผ์„ธ์š”? ์–ด๋–ค ํ”Œ๋žœ์„ ์ถ” ์ฒœ ํ•˜์„ธ์š”?

๋‹ต5) ์ด ์งˆ๋ฌธ์€ ์ €๋„ ๋งŽ์ด ๊ถ๊ธˆํ•ด์š”. 10์›”1์ผ์ด ์ง€๋‚˜์•ผ ์†๋‹˜๋“ค์—๊ฒŒ ์•Œ

๋ ค์ค„ ์ˆ˜ ์žˆ์–ด์š”.

์—์ด์ „ํŠธ๋“ค์€ ๋งค๋…„ ๋‹ค์Œํ•ด์— ํ”Œ๋žœ์„ ๋“ฑ๋ก์‹œํ‚ค๋ ค๋ฉด 2026๋…„

Certification์„ ๋ฐ›์•„์•ผ ํ•˜๊ณ  ํ”Œ๋žœ์— ๊ด€ํ•ด ๊ณต๋ถ€ ํ•ฉ๋‹ˆ๋‹ค. Certification์ด ๋

๋‚ฌ์œผ๋‚˜๊นŒ ๋Œ€๊ฐ• ์ถ”์ธก์€ ๊ฐ€๋Šฅํ•ฉ๋‹ˆ๋‹ค. ํ•œ๊ตญ ๋ถ„๋“ค์ด ๋งŽ์ด ๋“ฑ๋กํ•œ ๋ณดํ—˜๋“ค ์˜ฌํ•ด์™€ ๊ฐ™๊ฑฐ๋‚˜ ์กฐ๊ธˆ ์ข‹์•„ ์งˆ ๊ฒƒ ๊ฐ™์•„ ์š”. Medi-Medi ํ”Œ๋žœ๋“ค์€ ์ข‹์•„์งˆ ๊ฒƒ์œผ๋กœ ์ถ”์ถ• ๋ฉ๋‹ˆ๋‹ค~ ์ œ ๊ฐœ์ธ ์ถ”์ถ•์ž… ๋‹ˆ๋‹ค.

์ˆ˜์ˆ ์„ ํ•ด์•ผ ํ•˜๊ฑฐ๋‚˜ ๋ณ‘์ด ์žˆ์œผ์‹ ๋ถ„๋“ค์€ UCLA, ์‹œ๋”์Šค ์‚ฌ์ด๋‚˜, UCI, ์ƒŒ์ฅฌ๋“œ, ์ƒŒ์ฃ ์…‰, ํ† ๋ Œ์Šค๋ณ‘์› ๋“ฑ๋“ฑ ํฐ ๋ณ‘์›์„ ๊ฐˆ ์ˆ˜ ์žˆ๋Š” ์ŠคํŽ˜์…œ

์˜์‚ฌ๋“ค์ด ๋งŽ์€ ํ”Œ๋žœ์„ ๊ถŒํ•ฉ๋‹ˆ๋‹ค. ์ฐธ๊ณ  ํ•˜์„ธ์š”.

๊ถ๊ธˆํ•œ์  ์žˆ์œผ์‹œ๋ฉด ์กฐ์•ค ํ™ ์‹œ๋‹ˆ์–ด ๋ณดํ—˜ ์—์ด์ „ํŠธ 818-606-9486 ์œผ๋กœ ์ „ํ™”๋‚˜ ์ด๋ฉ”์ผ, Text๋กœ ์—ฐ๋ฝ ์ฃผ์„ธ์š”.

Education

SAT vs. ACT ์„ ํƒ: ์–ด๋–ค ์‹œํ—˜์ด ์ž๋…€์—๊ฒŒ ๊ฐ€

์žฅ ์œ ๋ฆฌํ• ๊นŒ์š”? ์ง€๋‚œ๋‹ฌ, ํ•œ ์•„๋ฒ„์ง€๊ฐ€ 10ํ•™๋…„ ์•„๋“ค

์„ ๋ฐ๋ฆฌ๊ณ  ์ œ ์‚ฌ๋ฌด์‹ค์„ ์ฐพ์•˜์Šต๋‹ˆ๋‹ค. "์ด์›ƒ์ง‘ ๋”ธ์•„์ด

๊ฐ€ ACT๋ฅผ ๋ณด๊ณ  USC์— ํ•ฉ๊ฒฉํ–ˆ์–ด์š”."๋ผ๊ณ  ๊ทธ๋Š” ๋งํ–ˆ

์Šต๋‹ˆ๋‹ค. "ํ•˜์ง€๋งŒ ์ œ ์•„๋“ค์˜ ๊ณผ์™ธ ์„ ์ƒ๋‹˜์€ SAT๊ฐ€ ํ•™

์ƒ๋“ค์—๊ฒŒ ๋” ์ข‹๋‹ค๊ณ  ํ•˜๋”๊ตฐ์š”. ๋ˆ„๊ตฌ ๋ง์ด ๋งž์„๊นŒ์š”?"

์ด๋Ÿฌํ•œ ํ˜ผ๋ž€์€ ๋งค๋…„ 9์›”๋งˆ๋‹ค ๋ฐœ์ƒํ•ฉ๋‹ˆ๋‹ค. ๋ถ€๋ชจ๋‹˜๋“ค

์€ ์–ด๋–ค ์‹œํ—˜์ด ์ž๋…€์˜ ์„ฑ๊ณต ๊ฐ€๋Šฅ์„ฑ์„ ๋†’์ด๋Š”์ง€ ์•Œ์ง€

๋ชปํ•œ ์ฑ„ ์‹œํ—˜ ์ค€๋น„์— ์ˆ˜์ฒœ ๋‹ฌ๋Ÿฌ๋ฅผ ์Ÿ์•„ ๋ถ‡์Šต๋‹ˆ๋‹ค. ์˜ฅ

์Šคํผ๋“œ ์—๋“€์ผ€์ด์…˜์€ 25๋…„๊ฐ„ ํ•™์ƒ๋“ค์„ ๋„์šฐ๋ฉด์„œ ์ž˜๋ชป๋œ ์‹œํ—˜์„ ์„ ํƒํ•˜๋ฉด ๋ช‡

๋‹ฌ๊ฐ„์˜ ์ค€๋น„ ์‹œ๊ฐ„์„ ํ—ˆ๋น„ํ•˜๊ฒŒ ๋œ๋‹ค๋Š” ๊ฒƒ์„ ์•Œ๊ณ  ์žˆ์Šต๋‹ˆ๋‹ค. ์ €๋Š” ์—ฌ๋Ÿฌ๋ถ„์ด ์ž

๋…€์—๊ฒŒ ๋งž๋Š” ์˜ฌ๋ฐ”๋ฅธ ์„ ํƒ์„ ํ•  ์ˆ˜ ์žˆ๋„๋ก ๋„์™€๋“œ๋ฆฌ๊ณ  ์‹ถ์Šต๋‹ˆ๋‹ค. ์ž๋…€์˜ ๊ฐ•์ 

์— ๋งž๋Š” ์‹œํ—˜์„ ์„ ํƒํ•˜๋ฉด ์ŠคํŠธ๋ ˆ์Šค ์—†์ด ๋” ๋†’์€ ์ ์ˆ˜๋ฅผ ๋ฐ›์„ ์ˆ˜ ์žˆ๊ธฐ ๋•Œ๋ฌธ์ž…

๋‹ˆ๋‹ค.

u์‹œํ—˜ ์„ ํƒ์— ๋Œ€ํ•œ ์ง„์‹ค

๋Œ€๋ถ€๋ถ„์˜ ๋ถ€๋ชจ๋“ค์ด ์ƒ๊ฐํ•˜๋Š” ๊ฒƒ: ๋ชจ๋‘๊ฐ€ SAT๋ฅผ ๋ณด๊ธฐ ๋•Œ๋ฌธ์— SAT๊ฐ€ ๋‚ด ์•„

์ด์—๊ฒŒ ๋” ์ข‹์Šต๋‹ˆ๋‹ค.

์„ฑ๊ณตํ•˜๋Š” ๊ฐ€์ •์ด ์•„๋Š” ๊ฒƒ: ์˜ฌ๋ฐ”๋ฅธ ์‹œํ—˜ ์„ ํƒ์€ ์ž๋…€์˜ ์ ์ˆ˜๋ฅผ 100์  ์ด์ƒ

ํ–ฅ์ƒ์‹œํ‚ฌ ์ˆ˜ ์žˆ์Šต๋‹ˆ๋‹ค.

์•„์ด๋น„๋ฆฌ๊ทธ๋‚˜ ๋‹ค๋ฅธ ๋ช…๋ฌธ ๋Œ€ํ•™์„ ํฌํ•จํ•œ ๋ชจ๋“  ๋Œ€ํ•™์€ SAT์™€ ACT ์‹œํ—˜์ด ์ž… ํ•™ ์‚ฌ์ •์—์„œ ๋™๋“ฑํ•œ ๊ฐ€์น˜๋ฅผ ์ง€๋‹Œ๋‹ค๊ณ  ์ƒ๊ฐํ•ฉ๋‹ˆ๋‹ค. ๋‘ ์‹œํ—˜์€ ์œ ์‚ฌํ•œ ๋Šฅ๋ ฅ์„

์ธก์ •ํ•˜์ง€๋งŒ, ์‹œํ—˜ ๋ฐฉ์‹์€ ๋งค์šฐ ๋‹ค๋ฆ…๋‹ˆ๋‹ค. ํ•™์ƒ๋“ค์€ ์ข…์ข… ํ•œ ์‹œํ—˜์—์„œ ๋‹ค๋ฅธ ์‹œ

ํ—˜๋ณด๋‹ค ์œ ๋ฆฌํ•œ ์ ์„ ๊ฐ€์ง€๊ณ  ์žˆ์Šต๋‹ˆ๋‹ค. ์ค‘์š”ํ•œ ๊ฒƒ์€ ์ž๋…€๊ฐ€ ์–ด๋–ค ์žฅ์ ์„ ๊ฐ€์ง€

๊ณ  ์žˆ๋Š”์ง€ ์ดํ•ดํ•˜๋Š” ๊ฒƒ์ž…๋‹ˆ๋‹ค.

u์ƒˆ๋กœ์šด ์‹œํ—˜ ํ™˜๊ฒฝ: 2024-2025๋…„ ๋ณ€ํ™”

์‹œํ—˜์„ ๋น„๊ตํ•˜๊ธฐ ์ „์— ์ฃผ์š” ๋ณ€๊ฒฝ ์‚ฌํ•ญ์„ ์•Œ์•„์•ผ ํ•ฉ๋‹ˆ๋‹ค.

SAT ๋ณ€๊ฒฝ ์‚ฌํ•ญ: SAT๋Š” 2024๋…„ 3์›”์— ์™„์ „ํžˆ ๋””์ง€ํ„ธํ™”๋˜์—ˆ์Šต๋‹ˆ๋‹ค. ์ด์ „๋ณด

๋‹ค ์‹œํ—˜ ์‹œ๊ฐ„์ด ๋‹จ์ถ•๋˜์—ˆ์ง€๋งŒ, ๋งŽ์€ ๊ฐ€์ •์—์„œ ์ดํ•ดํ•˜์ง€ ๋ชปํ•˜๋Š” ์ ์‘ํ˜• ์ฑ„์ 

๋ฐฉ์‹์„ ์‚ฌ์šฉํ•ฉ๋‹ˆ๋‹ค.

ACT ๋ณ€๊ฒฝ ์‚ฌํ•ญ: ACT๋Š” 2025๋…„์— ๋‹จ์ถ• ๋ฒ„์ „์„ ๋„์ž…ํ–ˆ์Šต๋‹ˆ๋‹ค. ๊ณผํ•™ ๋ฐ ์ž‘๋ฌธ

์„น์…˜์€ ์ด์ œ ์„ ํƒ ์‚ฌํ•ญ์ž…๋‹ˆ๋‹ค. ACT๋Š” ๋””์ง€ํ„ธ ๋ฒ„์ „๊ณผ ์ข…์ด ๋ฒ„์ „์„ ๋ชจ๋‘ ์ œ๊ณต ํ•ฉ๋‹ˆ๋‹ค.

์ค‘์š” ์ฐธ๊ณ  ์‚ฌํ•ญ: UCLA์™€ UC ๋ฒ„ํด๋ฆฌ๋ฅผ ํฌํ•จํ•œ UC ๊ณ„์—ด ๋Œ€ํ•™๋“ค์€ ๋” ์ด์ƒ

์ž…ํ•™ ์‚ฌ์ •์—์„œ SAT ๋˜๋Š” ACT ์ ์ˆ˜๋ฅผ ๊ณ ๋ คํ•˜์ง€ ์•Š์Šต๋‹ˆ๋‹ค. ๊ทธ๋Ÿฌ๋‚˜ ๋Œ€๋ถ€๋ถ„์˜

์‚ฌ๋ฆฝ๋Œ€ํ•™๊ณผ ํƒ€ ์ฃผ ๋Œ€ํ•™์€ ์‹œํ—˜์„ ์„ ํƒํ•˜๊ฑฐ๋‚˜ ํ•„์ˆ˜๋กœ ํ•ฉ๋‹ˆ๋‹ค.

uSAT: ์ ์‘ํ˜• ๋””์ง€ํ„ธ ์‹œํ—˜

์‹œํ—˜ ๊ตฌ์กฐ

r ์™„์ „ ๋””์ง€ํ„ธ ๋ฐฉ์‹, ์ปดํ“จํ„ฐ ๋˜๋Š” ํƒœ๋ธ”๋ฆฟ์œผ๋กœ ์‘์‹œ

r 2์‹œ๊ฐ„ 14๋ถ„ (๊ธฐ์กด๋ณด๋‹ค ํ›จ์”ฌ ๋‹จ์ถ•)

r ์ฝ๊ธฐ/์“ฐ๊ธฐ: 64๋ถ„ ๋™์•ˆ 54๋ฌธํ•ญ(2๊ฐœ ๋ชจ๋“ˆ)

r ์ˆ˜ํ•™: 70๋ถ„ ๋™์•ˆ 44๋ฌธํ•ญ(2๊ฐœ ๋ชจ๋“ˆ)

r ์ ์‘ํ˜• ์ฑ„์ : ๋‘ ๋ฒˆ์งธ ๋ชจ๋“ˆ์˜ ๋‚œ์ด๋„๋Š” ์ฒซ ๋ฒˆ์งธ ๋ชจ๋“ˆ์˜ ์„ฑ์ ์— ๋”ฐ๋ผ ๊ฒฐ์ • ๋ฉ๋‹ˆ๋‹ค.

uSAT์—์„œ ํ•™์ƒ์—๊ฒŒ ์œ ๋ฆฌํ•œ ์ 

์ˆ˜ํ•™ ๊ฐ•์กฐ: ์ˆ˜ํ•™์€ ์ด์ ์˜ 50%๋ฅผ ์ฐจ์ง€ํ•ฉ๋‹ˆ๋‹ค. ์ˆ˜ํ•™์— ๊ฐ•ํ•œ ํ•™์ƒ์€ ์ด๋ฅผ ํ™œ

์šฉํ•  ์ˆ˜ ์žˆ์Šต๋‹ˆ๋‹ค.

์ˆ˜ํ•™์„ ์ œ์™ธํ•œ ๋ชจ๋“  ๊ฐ๊ด€์‹: ๋Œ€๋ถ€๋ถ„์˜ ๋ฌธ์ œ๋Š” ๊ฐ๊ด€์‹์ด์ง€๋งŒ, ์ˆ˜ํ•™์—๋Š” ์ •

ํ™•ํ•œ ๋‹ต์„ ์š”๊ตฌํ•˜๋Š” ๋นˆ์นธ ์ฑ„์šฐ๊ธฐ ๋ฌธ์ œ๊ฐ€ ์žˆ์Šต๋‹ˆ๋‹ค.

์งง์€ ์ง€๋ฌธ: ์—ฌ๋Ÿฌ ๊ฐœ์˜ ๋ฌธ์ œ๋กœ ๊ตฌ์„ฑ๋œ ๊ธด ์ง€๋ฌธ ๋Œ€์‹ , ์ฝ๊ธฐ ์ง€๋ฌธ์€ ํ›จ์”ฌ ์งง์Šต๋‹ˆ

๋‹ค(25~150๋‹จ์–ด). ๊ฐ ์ง€๋ฌธ์—๋Š” ํ•˜๋‚˜์˜ ๋ฌธ์ œ๊ฐ€ ์žˆ์Šต๋‹ˆ๋‹ค.

๋ณ„๋„์˜ ๊ณผํ•™ ์˜์—ญ ์—†์Œ: ๊ณผํ•™ ๋ฌธ์ œ๋Š” ์ฝ๊ธฐ ์˜์—ญ์— ์žˆ์ง€๋งŒ, ๊ณผํ•™์ „์šฉ ์˜์—ญ์€

์—†์Šต๋‹ˆ๋‹ค.

๋ณต์žกํ•œ ์–ดํœ˜: SAT ์‹œํ—˜์€ ACT๋ณด๋‹ค ๋” ๊ณ ๊ธ‰ ์–ดํœ˜๋ฅผ ์‚ฌ์šฉํ•ฉ๋‹ˆ๋‹ค.

uSAT๊ฐ€ ๊ฐ€์žฅ ํšจ๊ณผ์ ์ธ ๊ฒฝ์šฐ

์ž๋…€๊ฐ€ ๋‹ค์Œ๊ณผ ๊ฐ™์€ ๊ฒฝ์šฐ SAT๋ฅผ ์„ ํ˜ธํ•  ์ˆ˜ ์žˆ์Šต๋‹ˆ๋‹ค.

q ์ˆ˜ํ•™์— ๋›ฐ์–ด๋‚œ ์„ฑ์ (์ ์ˆ˜์˜ 50%๋ฅผ ์ฐจ์ง€ํ•˜๋ฏ€๋กœ)

q ์งง์€ ์ฝ๊ธฐ ์ง€๋ฌธ์„ ์„ ํ˜ธํ•˜๋Š” ๊ฒฝ์šฐ

q ๋””์ง€ํ„ธ ์‹œํ—˜์— ์ต์ˆ™ํ•œ ๊ฒฝ์šฐ q ์–ดํœ˜๋ ฅ์ด ๋›ฐ์–ด๋‚œ ๊ฒฝ์šฐ

q ์ ์‘ํ˜• ์ฑ„์ ์˜ ๋ถˆํ™•์‹ค์„ฑ์„ ๊ฐ์ˆ˜ํ•˜๋Š” ๊ฒฝ์šฐ

SAT ์ฑ„์  ๊ธฐ์ค€

๋งŽ์€ ๊ฐ€์ •์—์„œ SAT ์ฑ„์ ์— ๋Œ€ํ•ด ์ดํ•ดํ•˜์ง€ ๋ชปํ•˜๋Š” ์ ์€ ๋‹ค์Œ๊ณผ ๊ฐ™์Šต๋‹ˆ๋‹ค.

SAT๋Š” "์ ์‘ํ˜•"์ž…๋‹ˆ๋‹ค. ์ฆ‰, ์ฒซ ๋ฒˆ์งธ ๋ชจ๋“ˆ์—์„œ ์–ด๋ ค์›€์„ ๊ฒช์œผ๋ฉด ๋‘ ๋ฒˆ์งธ ๋ชจ๋“ˆ ์€ ์‰ฌ์›Œ์ง€์ง€๋งŒ, ํ•ด๋‹น ์˜์—ญ์—์„œ 600์ (800์  ๋งŒ์ ) ์ด์ƒ์„ ๋ฐ›์„ ์ˆ˜๋Š” ์—†์Šต๋‹ˆ ๋‹ค. ์ฒซ ๋ฒˆ์งธ ๋ชจ๋“ˆ์—์„œ ์ข‹์€ ์„ฑ์ ์„ ๋ฐ›์œผ๋ฉด ๋‘ ๋ฒˆ์งธ ๋ชจ๋“ˆ์€ ๋” ์–ด๋ ค์›Œ์ง€์ง€๋งŒ ๋” ๋†’์€ ์ ์ˆ˜๋ฅผ ๋ฐ›์„ ์ˆ˜ ์žˆ์Šต๋‹ˆ๋‹ค. ์ด๋Ÿฌํ•œ ํŠน์„ฑ์œผ๋กœ ์ธํ•ด SAT ์‹œํ—˜ ๋Œ€๋น„๊ฐ€ ๊นŒ๋‹ค ๋กœ์›Œ์ง‘๋‹ˆ๋‹ค. ์‹œํ—˜ ํŒจํ„ด์€ ์„ฑ์ ์— ๋”ฐ๋ผ ๋‹ฌ๋ผ์ง€๊ธฐ ๋•Œ๋ฌธ์ž…๋‹ˆ๋‹ค. ์ „ํ†ต์ ์ธ ์ค€๋น„ ๋ฐฉ์‹์€ ์‹ ๋ขฐ๋„๊ฐ€ ๋–จ์–ด์งˆ ์ˆ˜ ์žˆ์Šต๋‹ˆ๋‹ค.

uACT: ์ผ๊ด€๋˜๊ณ  ์œ ์—ฐํ•œ ์‹œํ—˜ ์‹œํ—˜ ๊ตฌ์กฐ r ์ข…์ด ๋ฐ ๋””์ง€ํ„ธ ํ˜•์‹ ๋ชจ๋‘ ์ œ๊ณต

r 2์‹œ๊ฐ„ 55๋ถ„ (์„ ํƒ ์˜์—ญ ์ œ์™ธ) r ์˜์–ด: 45๋ถ„ ๋™์•ˆ 60๋ฌธํ•ญ

r ์ˆ˜ํ•™: 60๋ถ„ ๋™์•ˆ 48๋ฌธํ•ญ (์ด์ „๋ณด๋‹ค ์งง์€ ์ง€๋ฌธ)

r ์ฝ๊ธฐ: 35๋ถ„ ๋™์•ˆ 32๋ฌธํ•ญ (์ด์ „๋ณด๋‹ค ์งง์€ ์ง€๋ฌธ)

r ๊ณผํ•™: ์„ ํƒ - 35๋ถ„ ๋™์•ˆ 32๋ฌธํ•ญ

r ์“ฐ๊ธฐ: ์„ ํƒ - 40๋ถ„ ๋™์•ˆ ์—์„ธ์ด 1๊ฐœ ์ž‘์„ฑ

ACT์˜ ์žฅ์ 

๋ชจ๋‘ ๊ฐ๊ด€์‹: ๋ชจ๋“  ๋ฌธํ•ญ์ด ๊ฐ๊ด€์‹์ด๋ฉฐ, ๋นˆ์นธ ์ฑ„์šฐ๊ธฐ ์ˆ˜ํ•™ ๋ฌธ์ œ๊ฐ€ ์—†์Šต๋‹ˆ๋‹ค.

๊ฐ„ํŽธํ•œ ์ฑ„์ : ์ •๋‹ต ์ˆ˜์— ๋”ฐ๋ฅธ ๊ฐ„๋‹จํ•œ ์ฑ„์  ๋ฐฉ์‹์ž…๋‹ˆ๋‹ค. ๋ณต์žกํ•œ ์กฐ์ • ์—†์ด๋„

์ฑ„์ ํ•  ์ˆ˜ ์žˆ์Šต๋‹ˆ๋‹ค.

์‹œํ—˜ ํ˜•์‹์˜ ์•ˆ์ •์„ฑ: ACT ํ˜•์‹์€ ์ง€๋‚œ 10๋…„ ๋™์•ˆ ๋”์šฑ ์ผ๊ด€๋˜๊ฒŒ ์œ ์ง€๋˜์–ด

์‹œํ—˜ ์ค€๋น„ ์ „๋žต์ด ๋”์šฑ ์•ˆ์ •์ ์ž…๋‹ˆ๋‹ค.

์„ ํƒ ์˜์—ญ: ํ•™์ƒ๋“ค์€ ๋Œ€ํ•™ ์š”๊ฑด์— ๋”ฐ๋ผ ๊ณผํ•™ ๋ฐ ์“ฐ๊ธฐ ๊ณผ๋ชฉ ์ˆ˜๊ฐ• ์—ฌ๋ถ€๋ฅผ ์„ ํƒ ํ•  ์ˆ˜ ์žˆ์Šต๋‹ˆ๋‹ค.

๋™์ผํ•œ ์„น์…˜ ๊ฐ€์ค‘์น˜: ๊ฐ ์„น์…˜์€ ์ข…ํ•ฉ ์ ์ˆ˜์— ๋™์ผํ•˜๊ฒŒ ๋ฐ˜์˜๋ฉ๋‹ˆ๋‹ค.

ACT๊ฐ€ ๊ฐ€์žฅ ํšจ๊ณผ์ ์ธ ๊ฒฝ์šฐ

์ž๋…€๊ฐ€ ๋‹ค์Œ๊ณผ ๊ฐ™์€ ๊ฒฝ์šฐ ACT๋ฅผ ์„ ํ˜ธํ•  ์ˆ˜ ์žˆ์Šต๋‹ˆ๋‹ค.

q ์˜ˆ์ธก ๊ฐ€๋Šฅํ•˜๊ณ  ๊ฐ„๋‹จํ•œ ์ฑ„์ ์„ ์›ํ•˜๋Š” ๊ฒฝ์šฐ

q ๋ชจ๋“  ๊ฐ๊ด€์‹ ๋ฌธ์ œ๋ฅผ ์„ ํ˜ธํ•˜๋Š” ๊ฒฝ์šฐ q ๋ชจ๋“  ๊ณผ๋ชฉ์— ๋™์ผํ•œ ๊ฐ€์ค‘์น˜๋ฅผ ์  ์šฉํ•˜๋Š” ๊ฒƒ์„ ์„ ํ˜ธํ•˜๋Š” ๊ฒฝ์šฐ q ์„ ํƒ ์„น์…˜์„ ์ž์œ ๋กญ๊ฒŒ ์„ ํƒํ•˜๋Š” ๊ฒƒ์„

์„ ํ˜ธํ•˜๋Š” ๊ฒฝ์šฐ q ์ „ํ†ต์ ์ธ ์ง€ํ•„ ์‹œํ—˜(์—ฌ์ „ํžˆ ๊ฐ€๋Šฅ)์— ๋” ํŽธ์•ˆํ•จ์„ ๋А๋ผ

๋Š” ๊ฒฝ์šฐ q ์‹œ๊ฐ„ ์••๋ฐ• ์†์—์„œ๋„ ์ž˜ ํ•ด๋‚ด๋Š” ๊ฒฝ์šฐ

์ค‘์š”ํ•œ ์ฐจ์ด์ 

์ˆ˜๋ฐฑ ๋ช…์˜ ํ•™์ƒ๋“ค๊ณผ ํ•จ๊ป˜ํ•œ ๊ฒฝํ—˜์—์„œ ์ €๋Š” ๋‹ค์Œ๊ณผ ๊ฐ™์€ ๋ช…ํ™•ํ•œ ํŒจํ„ด์„ ๋ฐœ๊ฒฌ

ํ–ˆ์Šต๋‹ˆ๋‹ค.

์ˆ˜ํ•™์— ๊ฐ•ํ•œ ํ•™์ƒ: ์ˆ˜ํ•™ ์ ์ˆ˜๊ฐ€ ์ด์ ์˜ 50%๋ฅผ ์ฐจ์ง€ํ•˜๋Š” ๋ฐ˜๋ฉด ACT๋Š” 25%

๋ฅผ ์ฐจ์ง€ํ•˜๊ธฐ ๋•Œ๋ฌธ์— SAT๋ฅผ ์„ ํ˜ธํ•˜๋Š” ๊ฒฝ์šฐ๊ฐ€ ๋งŽ์Šต๋‹ˆ๋‹ค.

๊พธ์ค€ํ•œ ์„ฑ์ ์„ ์œ ์ง€ํ•˜๋Š” ํ•™์ƒ: ์ฑ„์ ์ด ๊ฐ„๋‹จํ•˜๊ณ  ์‹œํ—˜ ํ˜•์‹์ด ์•ˆ์ •์ ์ด

๊ธฐ ๋•Œ๋ฌธ์— ACT๋ฅผ ์„ ํ˜ธํ•˜๋Š” ๊ฒฝ์šฐ๊ฐ€ ๋งŽ์Šต๋‹ˆ๋‹ค.

๊ธฐ์ˆ ์— ์ต์ˆ™ํ•œ ํ•™์ƒ: ๋””์ง€ํ„ธ SAT ๊ฒฝํ—˜์„ ์„ ํ˜ธํ•  ์ˆ˜ ์žˆ์Šต๋‹ˆ๋‹ค.

๊ณผํ•™์— ์ž์‹ ๊ฐ์ด ์žˆ๋Š” ํ•™์ƒ: ์ž์‹ ์˜ ๊ฐ•์ ์„ ๋ณด์—ฌ์ฃผ๊ธฐ ์œ„ํ•ด ๊ณผํ•™ ์„น์…˜๊ณผ ํ•จ๊ป˜

ACT๋ฅผ ๋ณด๋Š” ๊ฒƒ์„ ๊ณ ๋ คํ•ด์•ผ ํ•ฉ๋‹ˆ๋‹ค.

์„ ํƒ ๋ฐฉ๋ฒ•: ์‹œํ—˜ ์ „๋žต

์ง์ž‘ํ•˜์ง€ ๋งˆ์„ธ์š”. ๋‹ค์Œ ์ ˆ์ฐจ๋ฅผ ๋”ฐ๋ฅด์„ธ์š”.

1. ๊ฐ ํ˜•์‹์˜ ์ „์ฒด ๋ชจ์˜๊ณ ์‚ฌ๋ฅผ ์น˜๋ฅด์„ธ์š”.

2. ๊ณต์‹ ์ปจ์ฝ”๋˜์Šค ํ‘œ๋ฅผ ์‚ฌ์šฉํ•˜์—ฌ ํ™˜์‚ฐ ์ ์ˆ˜๋ฅผ ๋น„๊ตํ•˜์„ธ์š”.

3. ์ž๋…€์˜ ํ•™์Šต ์Šคํƒ€์ผ๊ณผ ์„ ํ˜ธ๋„๋ฅผ ๊ณ ๋ คํ•˜์„ธ์š”.

4. ๋ชฉํ‘œ ๋Œ€ํ•™์˜ ์š”๊ตฌ ์กฐ๊ฑด์„ ๊ณ ๋ คํ•˜์„ธ์š”.

l ์˜ฅ์Šคํผ๋“œ ํ•™์›์˜ ์„ฑ๊ณต ์‚ฌ๋ก€ l Sarah ํ•™์ƒ์˜ ์ด์•ผ๊ธฐ: Sarah๋Š” ์ˆ˜ํ•™์— ๋งค์šฐ ๋›ฐ์–ด๋‚ฌ์ง€๋งŒ ์‹œ๊ฐ„ ์••๋ฐ•์— ์–ด

๋ ค์›€์„ ๊ฒช์—ˆ์Šต๋‹ˆ๋‹ค. ๊ทธ ํ•™์ƒ์˜ ์ฒซ SAT ๋ชจ์˜๊ณ ์‚ฌ๋Š” 1380์ ์ด์—ˆ๊ณ , ์ฒซ ACT ๋ชจ

์˜๊ณ ์‚ฌ๋Š” 29์ (1340์ ์— ํ•ด๋‹น)์ด์—ˆ์Šต๋‹ˆ๋‹ค. Sarah ํ•™์ƒ์€ ์ˆ˜ํ•™์— ์ง‘์ค‘ํ•˜์—ฌ

SAT๋ฅผ ์„ ํƒํ–ˆ๊ณ , 1520์ ์„ ๋‹ฌ์„ฑํ–ˆ์Šต๋‹ˆ๋‹ค.

์ œ์ž„์Šค ํ•™์ƒ์˜ ์ด์•ผ๊ธฐ: ์ œ์ž„์Šค ํ•™์ƒ์€ ๋ถˆํ™•์‹ค์„ฑ์„ ์‹ซ์–ดํ•˜๋Š” ๊พธ์ค€ํ•œ ์„ฑ์ 

์„ ๊ฑฐ๋‘๋Š” ํ•™์ƒ์ด์—ˆ์Šต๋‹ˆ๋‹ค. ๊ทธ์˜ ์ฒซ ๋ชจ์˜ SAT ์ ์ˆ˜๋Š” 1350์ ์ด์—ˆ๊ณ , ์ฒซ ๋ชจ์˜

ACT ์ ์ˆ˜๋Š” 32์ (1420์ ์— ํ•ด๋‹น)์ด์—ˆ์Šต๋‹ˆ๋‹ค. ์ œ์ž„์Šค ํ•™์ƒ์€ ACT๋ฅผ ์„ ํƒํ–ˆ

๊ณ  35์ ์„ ๋‹ฌ์„ฑํ–ˆ์Šต๋‹ˆ๋‹ค.

๋งˆ๋ฆฌ์•„ ํ•™์ƒ์˜ ์ด์•ผ๊ธฐ: ๋งˆ๋ฆฌ์•„ ํ•™์ƒ์€ ๊ณผํ•™์— ๊ฐ•ํ–ˆ์ง€๋งŒ SAT์˜ ์ ์‘ํ˜• ํ˜•

์‹์— ๋Œ€ํ•ด ๊ฑฑ์ •ํ–ˆ์Šต๋‹ˆ๋‹ค. ๊ทธ ํ•™์ƒ์€ ๊ณผํ•™๊ณผ ํ•จ๊ป˜ ACT๋ฅผ ์‘์‹œํ•˜์—ฌ 34์ ์„ ๋ฐ› ์•˜๊ณ , ์ด๋Š” ๊ฒฝ์Ÿ๋ ฅ ์žˆ๋Š” ๊ณตํ•™ ํ”„๋กœ๊ทธ๋žจ์— ํ•ฉ๊ฒฉํ•˜๋Š” ๋ฐ ๋„์›€์ด ๋˜์—ˆ์Šต๋‹ˆ๋‹ค.

n 2025-2026๋…„ ์‹œํ—˜ ์‹œ๊ธฐ ๊ฒฐ์ •

10ํ•™๋…„: ์ง€๊ธˆ ๋ชจ์˜๊ณ ์‚ฌ๋ฅผ ์น˜๋ฅด์„ธ์š”. 1์›”๊นŒ์ง€ ์‹œํ—˜์„ ์„ ํƒํ•˜์„ธ์š”. 2026๋…„ ๋ด„

์‹œํ—˜์„ ๊ณ„ํšํ•˜์„ธ์š”.

11ํ•™๋…„: ์•„์ง ์„ ํƒํ•˜์ง€ ์•Š์•˜๋‹ค๋ฉด 10์›”๊นŒ์ง€ ๊ฒฐ์ •ํ•˜์„ธ์š”. ๋ด„ ์‹œํ—˜์„ ์œ„ํ•œ ์ง‘์ค‘

์ ์ธ ์ค€๋น„๊ฐ€ ํ•„์š”ํ•ฉ๋‹ˆ๋‹ค.

ํ•™์ƒ๋“ค์—๊ฒŒ ํ•ด๊ฐ€ ๋˜๋Š” ํ”ํ•œ ์‹ค์ˆ˜

์‹ค์ˆ˜ #1: ์ƒˆ๋กœ์šด ํ˜•์‹ ๋ฌด์‹œ: ๋งŽ์€ ์ค€๋น„ ์ž๋ฃŒ๋“ค์ด ์—ฌ์ „ํžˆ ์˜ค๋ž˜๋œ SAT ์ „๋žต์„

๊ฐ€๋ฅด์น˜๊ณ  ์žˆ์Šต๋‹ˆ๋‹ค. ๋””์ง€ํ„ธ ์ ์‘ํ˜• ํ˜•์‹์„ ๊ณ ๋ คํ•˜์—ฌ ์ค€๋น„ํ•˜์„ธ์š”.

์‹ค์ˆ˜ #2: SAT๊ฐ€ "๋” ์–ด๋ ต๋‹ค"๊ณ  ์ƒ๊ฐํ•˜๋Š” ๊ฒƒ: SAT๊ฐ€ ์–ด๋ ค์šด ๊ฒƒ์ด ์•„๋‹ˆ๋ผ ๋‹ค ๋ฆ…๋‹ˆ๋‹ค. ์–ด๋–ค ํ•™์ƒ๋“ค์€ SAT ํ˜•์‹์—์„œ ๋” ๋‚˜์€ ์„ฑ์ ์„ ๋ฐ›์Šต๋‹ˆ๋‹ค.

์‹ค์ˆ˜ #3 : ์ ์‘ํ˜• ์ฑ„์ ์„ ์ดํ•ดํ•˜์ง€ ๋ชปํ•˜๋Š” ๊ฒƒ: ๋งŽ์€ ๊ฐ€์ •์ด SAT ์ฒซ ๋ฒˆ์งธ ๋ชจ

๋“ˆ์—์„œ ์–ด๋ ค์›€์„ ๊ฒช๋Š” ๊ฒƒ์ด ์ตœ๋Œ€ ์ ์ˆ˜์— ์˜ํ–ฅ์„ ๋ฏธ์นœ๋‹ค๋Š” ์‚ฌ์‹ค์„ ๊นจ๋‹ซ์ง€ ๋ชป ํ•ฉ๋‹ˆ๋‹ค.

์‹ค์ˆ˜ #4 : ์ „๋žต ์—†์ด ๋‘ ์‹œํ—˜์„ ๋ชจ๋‘ ์น˜๋ฅด๋Š” ๊ฒƒ: ๋‘ ์‹œํ—˜์— ์ค€๋น„ ์‹œ๊ฐ„์„ ๋‚˜๋ˆ  ์„œ ์น˜๋ฅด๋Š” ํ•™์ƒ๋“ค์€ ๋ณดํ†ต ํ•œ ์‹œํ—˜์—๋งŒ ์ง‘์ค‘ํ•˜๋Š” ํ•™์ƒ๋“ค๋ณด๋‹ค ๋‚ฎ์€ ์ ์ˆ˜๋ฅผ ๋ฐ›

์Šต๋‹ˆ๋‹ค.

์‹ค์ˆ˜ #5 : ๋Œ€ํ•™ ์š”๊ฑด์„ ๊ฐ„๊ณผํ•˜๋Š” ๊ฒƒ: ์ผ๋ถ€ ๋Œ€ํ•™์€ ์—ฌ์ „ํžˆ ํŠน์ • ๊ณผ๋ชฉ์„ ์„ ํ˜ธ ํ•˜๊ฑฐ๋‚˜ ์š”๊ตฌํ•ฉ๋‹ˆ๋‹ค. ๋ชฉํ‘œ ๋Œ€ํ•™์˜ ํŠน์ • ์š”๊ฑด์„ ํ™•์ธํ•˜์„ธ์š”.

์˜์‚ฌ๊ฒฐ์ • ํ”„๋ ˆ์ž„์›Œํฌ

์ž๋…€์—๊ฒŒ ๋‹ค์Œ ์งˆ๋ฌธ์„ ํ•ด๋ณด์„ธ์š”.

1. ์ˆ˜ํ•™ ๊ฐ•์ : ์ˆ˜ํ•™์ด ์ž๋…€์˜ ์ ์ˆ˜๋ฅผ ์˜ฌ๋ฆด ์ˆ˜ ์žˆ๋Š” ๊ฐ€์žฅ ๊ฐ•๋ ฅํ•œ ๊ณผ๋ชฉ์ธ๊ฐ€์š”?

2. ์‹œํ—˜ ๋ถˆ์•ˆ: ๋ถˆํ™•์‹ค์„ฑ๊ณผ ์˜ˆ์ธก ๊ฐ€๋Šฅํ•œ ํ˜•์‹์— ์–ด๋–ป๊ฒŒ ๋Œ€์ฒ˜ํ•˜๋‚˜์š”?

3. ๊ธฐ์ˆ ์— ๋Œ€ํ•œ ์ ์‘๋ ฅ: ๋””์ง€ํ„ธ ์‹œํ—˜์— ์ ์‘ํ•˜๋‚˜์š”?

4. ์‹œ๊ฐ„ ๊ด€๋ฆฌ: ๋น ๋ฅด๊ณ  ์ •ํ™•ํ•˜๊ฒŒ ๊ณต๋ถ€ํ•˜๋‚˜์š”, ์•„๋‹ˆ๋ฉด ์ƒ๊ฐํ•  ์‹œ๊ฐ„์„ ๋” ์„ ํ˜ธํ•˜

๋‚˜์š”?

5. ๋Œ€ํ•™ ๋ชฉํ‘œ: ๋ชฉํ‘œ ๋Œ€ํ•™์—์„œ ์„ ํ˜ธํ•˜๋Š” ์‹œํ—˜ ์œ ํ˜•์ด ์žˆ๋‚˜์š”?

๋‹ค์Œ ๋‹จ๊ณ„

์ด๋ฒˆ ๋‹ฌ(9์›”) :

r ๋ชฉํ‘œ ๋Œ€ํ•™์˜ ํ˜„์žฌ ์š”๊ตฌ ์กฐ๊ฑด ์กฐ์‚ฌ

r ์ž๋…€๊ฐ€ SAT์™€ ACT ๋ชจ์˜๊ณ ์‚ฌ๋ฅผ ์น˜๋ฅด๋„๋ก ํ•˜์„ธ์š”(์˜ฅ์Šคํผ๋“œ ์—๋“€์ผ€์ด์…˜

์—์„œ SAT ๋ฐ ACT ์ง„๋‹จ ์‹œํ—˜์„ ๋ฌด๋ฃŒ๋กœ ์ œ๊ณตํ•ฉ๋‹ˆ๋‹ค).

r ์ ์ˆ˜์™€ ๋‚œ์ด๋„ ๋น„๊ต

r ์ง‘์ค‘ํ•  ์‹œํ—˜ ์„ ํƒ

10์›”-12์›” :

q ์„ ํƒํ•œ ์‹œํ—˜์— ๋Œ€ํ•œ ์ง‘์ค‘์ ์ธ ์ค€๋น„ ์‹œ์ž‘

q ์ค€๋น„ ์ž๋ฃŒ๊ฐ€ ํ˜„์žฌ ์‹œํ—˜ ํ˜•์‹๊ณผ ์ผ์น˜ํ•˜๋Š”์ง€ ํ™•์ธ

q ๋งค๋‹ฌ ๋ชจ์˜๊ณ ์‚ฌ๋ฅผ ํ†ตํ•ด ์ง„๋„ ํŒŒ์•…

1์›”-6์›” :

q ์‹œํ—˜ ๋‚ ์งœ ๋ฏธ๋ฆฌ ๋“ฑ๋ก

q ํ•„์š”ํ•œ ๊ฒฝ์šฐ ์‹ค์ œ ์‹œํ—˜์„ 2~3ํšŒ ์‘์‹œ

q ์ค‘๊ฐ„๊ณ ์‚ฌ ์‚ฌ์ด์— ์ทจ์•ฝํ•œ ๋ถ€๋ถ„ ์ง‘์ค‘

ํ•„์š”ํ•œ ํฌ๋ง

SAT์™€ ACT ์ค‘ ํ•˜๋‚˜๋ฅผ ์„ ํƒํ•˜๋Š” ๊ฒƒ์ด ๋ถ€๋‹ด์Šค๋Ÿฌ์šธ ์ˆ˜ ์žˆ์ง€๋งŒ, ๊ทธ๋Ÿด ํ•„์š”๋Š” ์—†

์Šต๋‹ˆ๋‹ค. ๋‘ ์‹œํ—˜ ๋ชจ๋‘ ๋Œ€ํ•™ ์ง„ํ•™์œผ๋กœ ์ด์–ด์งˆ ์ˆ˜ ์žˆ์Šต๋‹ˆ๋‹ค. ์ค‘์š”ํ•œ ๊ฒƒ์€ ์ž๋…€์˜

ํŠน์ • ๊ฐ•์ ๊ณผ ํ•™์Šต ์Šคํƒ€์ผ์— ๋งž๋Š” ์‹œํ—˜ ํ˜•์‹์„ ์ดํ•ดํ•˜๋Š” ๊ฒƒ์ž…๋‹ˆ๋‹ค.

์ ์ ˆํ•œ ์‹œํ—˜ ์„ ํƒ๊ณผ ์ฒ ์ €ํ•œ ์ค€๋น„๋ฅผ ํ†ตํ•ด ์ž๋…€๋Š” ์ „๊ตญ์˜ ๋ช…๋ฌธ ๋Œ€ํ•™ ์ง„ํ•™์„ ์œ„

ํ•ด ๊ฒฝ์Ÿํ•  ์ˆ˜ ์žˆ์Šต๋‹ˆ๋‹ค. ์˜ฅ์Šคํผ๋“œ ์—๋“€์ผ€์ด์…˜์—์„œ 25๋…„ ๋™์•ˆ ์ด๋Ÿฐ ์ผ์„ ์ˆ˜๋ฐฑ

๋ฒˆ์ด๋‚˜ ๋ชฉ๊ฒฉํ–ˆ์Šต๋‹ˆ๋‹ค.

์ค‘์š”ํ•œ ๊ฒƒ์€ ์–ด๋–ค ์‹œํ—˜์ด ์ž๋…€์˜ ๋Šฅ๋ ฅ์„ ๊ฐ€์žฅ ํšจ๊ณผ์ ์œผ๋กœ ๋ณด์—ฌ์ค„ ์ˆ˜ ์žˆ๋А๋ƒ ๋Š” ๊ฒƒ์ž…๋‹ˆ๋‹ค.

์ตœ์ข… ๊ฒฐ์ • ๋‚ด๋ฆฌ๊ธฐ

๋ชจ๋“  ์‚ฌ๋žŒ์—๊ฒŒ "๋” ๋‚˜์€" ์‹œํ—˜์€ ์—†๋‹ค๋Š” ๊ฒƒ์„ ๊ธฐ์–ตํ•˜์„ธ์š”. ๊ฐ€์žฅ ์ข‹์€ ์‹œํ—˜์€

์ž๋…€๊ฐ€ ๊ฐ€์žฅ ์ ์€ ์ŠคํŠธ๋ ˆ์Šค๋กœ ์ตœ๊ณ  ์ ์ˆ˜๋ฅผ ๋ฐ›์„ ์ˆ˜ ์žˆ๋Š” ์‹œํ—˜์ž…๋‹ˆ๋‹ค.

์˜ฅ์Šคํผ๋“œ ์—๋“€์ผ€์ด์…˜์€ ๋งค๋…„ ํ•™๋ถ€๋ชจ๋‹˜๋“ค์ด ์ด๋Ÿฌํ•œ ๊ฒฐ์ •์„ ๋‚ด๋ฆด ์ˆ˜ ์žˆ๋„๋ก

๋•์Šต๋‹ˆ๋‹ค. ๊ธฐ์กด ์‹œํ—˜๊ณผ ์ƒˆ๋กœ์šด ์‹œํ—˜ ํ˜•์‹์„ ๋ชจ๋‘ ์ดํ•ดํ•˜๊ณ  ์žˆ์œผ๋ฉฐ, ์ž๋…€๊ฐ€ ๋Œ€ ํ•™ ์ง„ํ•™์„ ์œ„ํ•œ ์ตœ์„ ์˜ ๊ธธ์„ ์ฐพ์„ ์ˆ˜ ์žˆ๋„๋ก ๋„์™€๋“œ๋ฆฝ๋‹ˆ๋‹ค.

์‹œํ—˜ ๋ฐฉ์‹์€ ๋ณ€ํ–ˆ์ง€๋งŒ, ๋ชฉํ‘œ๋Š” ๋ณ€ํ•จ์ด ์—†์Šต๋‹ˆ๋‹ค. ๋ฐ”๋กœ ์ž๋…€๊ฐ€ ์ž ์žฌ๋ ฅ์„ ์ตœ๋Œ€ ํ•œ ๋ฐœํœ˜ํ•˜๊ณ  ๋Œ€ํ•™ ์ง„ํ•™์˜ ๊ฟˆ์„ ์ด๋ฃจ๋„๋ก ๋•๋Š” ๊ฒƒ์ž…๋‹ˆ๋‹ค.

Zillow๋ฅผ ์ฆ๊ฒจ ์ด์šฉํ•˜๋Š” ๋ฐ€๋ ˆ๋‹ˆ์–ผ ์„ธ๋Œ€๋‚˜ Z์„ธ๋Œ€๋ผ๋ฉด, ์ง‘๊ฐ’์ด ์ƒ์ƒ๋„ ํ• 

์ˆ˜ ์—†์„ ์ •๋„๋กœ ํญ๋“ฑํ•œ ๋ฒ ์ด๋น„๋ถ ์„ธ๋Œ€ ์ฃผํƒ ์†Œ์œ ์ž๋“ค์„ ๋ถ€๋Ÿฌ์›Œํ–ˆ์„ ๊ฒƒ ์ž…๋‹ˆ๋‹ค.

ํ•˜์ง€๋งŒ ๋งŽ์€ ๋…ธ๋…„์ธต ๊ฐ€๊ตฌ(์ž„์ฐจ์ธ๊ณผ ์ฃผํƒ ์†Œ์œ ์ž ๋ชจ๋‘)๋Š” ์น˜์†Ÿ๋Š” ์ฃผํƒ๋น„

์šฉ์œผ๋กœ ์–ด๋ ค์›€์„ ๊ฒช๊ณ  ์žˆ์Šต๋‹ˆ๋‹ค.

ํŠนํžˆ 80์„ธ ์ด์ƒ์˜ ๋…ธ๋…„์ธต ์ธ๊ตฌ๊ฐ€ ์ฆ๊ฐ€ํ•จ์— ๋”ฐ๋ผ, ๊ทธ๋“ค์˜ ์ฃผํƒ ๋ฌธ์ œ๋Š”

๋”์šฑ ์‹ฌ๊ฐํ•ด์ง€๊ณ  ์žˆ์Šต๋‹ˆ๋‹ค.

ํ•œ ๋ณด๊ณ ์„œ์— ๋”ฐ๋ฅด๋ฉด, 2023๋…„ 65์„ธ ์ด์ƒ ๊ฐ€๊ตฌ์˜ ์•ฝ 3๋ถ„์˜ 1์ด ์ฃผ๊ฑฐ๋น„ ๋ถ€

๋‹ด์— ์‹œ๋‹ฌ๋ ธ์œผ๋ฉฐ, ์ด๋Š” ์†Œ๋“์˜ 30% ์ด์ƒ์„ ์ฃผ๊ฑฐ๋น„๋กœ ์ง€์ถœํ–ˆ์Œ์„ ์˜๋ฏธ

ํ•ฉ๋‹ˆ๋‹ค. ์ด๋“ค ์ค‘ ์ ˆ๋ฐ˜ ์ด์ƒ์ด ์‹ฌ๊ฐํ•œ ์ฃผ๊ฑฐ๋น„ ๋ถ€๋‹ด์— ์‹œ๋‹ฌ๋ ธ์œผ๋ฉฐ, ์†Œ๋“์˜

50% ์ด์ƒ์„ ์ฃผ๊ฑฐ๋น„๋กœ ์ง€์ถœํ–ˆ์Šต๋‹ˆ๋‹ค.

80๋Œ€์— ์ ‘์–ด๋“ค๋ฉด์„œ ๊ฐ€๊ณ„ ์†Œ๋“์€ ๊ฐ์†Œํ•˜๋Š” ๊ฒฝํ–ฅ์ด ์žˆ๋Š”๋ฐ, ๋งŽ์€ ์‚ฌ๋žŒ๋“ค ์ด ๋ฐฐ์šฐ์ž๋ฅผ ์žƒ๊ณ  ๋‹จ์ผ ์†Œ๋“์œผ๋กœ ์ƒ๊ณ„๋ฅผ ์œ ์ง€ํ•ด์•ผ ํ•˜๊ธฐ ๋•Œ๋ฌธ์ž…๋‹ˆ๋‹ค. ์ด ๋กœ ์ธํ•ด ๋งค๋‹ฌ ๊ฐ€์žฅ ํฐ ์ง€์ถœ์ธ ์ฃผ๊ฑฐ๋น„๋ฅผ ๊ฐ๋‹นํ•˜๊ธฐ๊ฐ€ ๋”์šฑ ์–ด๋ ค์›Œ์งˆ ์ˆ˜ ์žˆ ์Šต๋‹ˆ๋‹ค.

๋ฒ ์ด๋น„๋ถ ์„ธ๋Œ€ ์ค‘ ๊ฐ€์žฅ ๋‚˜์ด๊ฐ€ ๋งŽ์€ ์„ธ๋Œ€๊ฐ€ 80์„ธ๋ฅผ ์•ž๋‘๊ณ  ์žˆ๋Š” ์ƒํ™ฉ์— ์„œ, ์ด๋Ÿฌํ•œ ์ƒํ™ฉ์€ ์ ‘๊ทผ์„ฑ์ด ๋†’์€ ์ฃผํƒ, ์žฅ๊ธฐ ์š”์–‘, ๊ทธ๋ฆฌ๊ณ  ๋…ธ์ธ๋“ค์ด ์˜ ์กดํ•˜๋Š” ๊ธฐํƒ€ ์„œ๋น„์Šค์— ์ƒ๋‹นํ•œ ๋ถ€๋‹ด์„ ๊ฐ€ํ•  ๊ฒƒ์œผ๋กœ ์˜ˆ์ƒ๋ฉ๋‹ˆ๋‹ค.

๋˜ํ•œ ๊ณ ๋ น ์ž„์ฐจ์ธ์€ ์ฃผํƒ ์†Œ์œ ์ž๋ณด๋‹ค ๊ฒฝ์ œ์ ์œผ๋กœ ๋” ์—ด์•…ํ•ฉ๋‹ˆ๋‹ค. 2023

๋…„ ๊ธฐ์ค€ ์ž„์ฐจ์ธ ๋Œ€๋‹ค์ˆ˜(58%)๊ฐ€ ๋น„์šฉ ๋ถ€๋‹ด์„ ์•ˆ๊ณ  ์žˆ์—ˆ์œผ๋ฉฐ, ๋Œ€๋ถ€๋ถ„์ด ์‹ฌ๊ฐํ•œ ์ˆ˜์ค€์ด์—ˆ์Šต๋‹ˆ๋‹ค. ํ•˜์ง€๋งŒ ์ฃผํƒ ์†Œ์œ ์ž๋“ค๋„ ์ ์  ๋” ์–ด๋ ค์›€์„ ๊ฒช ๊ณ  ์žˆ์Šต๋‹ˆ๋‹ค.

2022๋…„ ๊ธฐ์ค€ 80๋Œ€ ๊ณ ๋ น ์ฃผํƒ ์†Œ์œ ์ž์˜ 31%๊ฐ€ ์—ฌ์ „ํžˆ ์ฃผํƒ๋‹ด๋ณด๋Œ€์ถœ์—

์‹œ๋‹ฌ๋ฆฌ๊ณ  ์žˆ์œผ๋ฉฐ, ๊ทธ์ค‘ 43%๋Š” ๋น„์šฉ ๋ถ€๋‹ด์„ ์•ˆ๊ณ  ์žˆ์Šต๋‹ˆ๋‹ค. ์ด๋Š” ๋ชจ๊ธฐ์ง€

๋Œ€์ถœ์ด ์—†๋Š” ๊ณ ๋ น ์ฃผํƒ ์†Œ์œ ์ž์˜ ๋‘ ๋ฐฐ ์ด์ƒ์— ๋‹ฌํ•˜๋Š” ์ˆ˜์น˜์ž…๋‹ˆ๋‹ค. ํ•˜

์ง€๋งŒ ์ฃผํƒ์„ ์™„์ „ํžˆ ์†Œ์œ ํ•œ ์‚ฌ๋žŒ๋“ค์กฐ์ฐจ๋„ ๋ณดํ—˜๋ฃŒ, ์žฌ์‚ฐ์„ธ, ๊ณต๊ณผ๊ธˆ, ์ฃผํƒ

์ˆ˜๋ฆฌ๋น„ ๋“ฑ ๊ธ‰์ฆํ•˜๋Š” ์ฃผํƒ๋น„์šฉ์— ์—ฌ์ „ํžˆ ์‹œ๋‹ฌ๋ฆฌ๊ณ  ์žˆ์Šต๋‹ˆ๋‹ค.

์ฃผํƒ ๋ฌธ์ œ๋กœ ์žฌ์ •์  ์–ด๋ ค์›€์„ ๊ฒช๋Š” ๋…ธ๋…„์ธต ๊ฐ€๊ตฌ ์ˆ˜๋Š” 2019๋…„ 1์ฒœ๋งŒ ๊ฐ€ ๊ตฌ์—์„œ 2023๋…„ 1,240๋งŒ ๊ฐ€๊ตฌ ์ด์ƒ์œผ๋กœ ์ฆ๊ฐ€ํ–ˆ์Šต๋‹ˆ๋‹ค. ํ•œํŽธ, ์ง€๋‚œ ๋ช‡ ๋…„ ๊ฐ„ ์ฃผํƒ ๊ฐ€๊ฒฉ์€ ๊ธ‰๋“ฑํ–ˆ๊ณ , ๋ชจ๊ธฐ์ง€ ๊ธˆ๋ฆฌ๋Š” ๊ณ ์ง‘์Šค๋Ÿฝ๊ฒŒ ๋†’์€ ์ˆ˜์ค€์„ ์œ ์ง€ ํ•˜๊ณ  ์žˆ์œผ๋ฉฐ, ์ง‘์„ ๋น„์šฐ๊ณ  ๋‹ค์šด์‚ฌ์ด์ง•์„ ๊ณ ๋ คํ•˜๋Š” ๋…ธ๋…„์ธต์—๊ฒŒ ์ ํ•ฉํ• 

์ˆ˜ ์žˆ๋Š” ๋” ์ž‘๊ณ  ์ €๋ ดํ•œ ์ฃผํƒ์˜ ๋น„์ค‘์€ ์ ์  ์ค„์–ด๋“ค๊ณ  ์žˆ์Šต๋‹ˆ๋‹ค.

2023๋…„์— ๊ฑด์„ค๋œ ์‹ ๊ทœ ์ฃผํƒ ์ค‘ 1,400 ์Šคํ€˜์–ดํ”ผํŠธ ๋ฏธ๋งŒ์€ 9%์— ๋ถˆ๊ณผํ–ˆ์Šต ๋‹ˆ๋‹ค.

์ด๋Ÿฌํ•œ ์ƒํ™ฉ์€ ์ฃผํƒ์„ ์€ํ‡ด ์ž๊ธˆ์œผ๋กœ ์—ฌ๊ธฐ๋Š” ์˜ค๋žœ ๋ฏธ๊ตญ ์ „ํ†ต์„ ๋ฌด๋„ˆ๋œจ

๋ฆฌ๊ณ  ์žˆ์Šต๋‹ˆ๋‹ค.

๋งŽ์€ ์ฃผํƒ ์†Œ์œ ์ž๋“ค์ด ๋…ธํ›„์— ์ง‘์„ ํŒ”๊ณ  ๋‹ค์šด์‚ฌ์ด์ง•ํ•˜์—ฌ ํŒ๋งค ์ˆ˜์ต์œผ ๋กœ ์ƒํ™œํ•˜๋Š” ๋ฐ ๊ธฐ๋Œ€๋ฅผ ๊ฑธ๊ณ  ์žˆ์Šต๋‹ˆ๋‹ค. ํ•˜์ง€๋งŒ ์ฃผํƒ ๋ถ€์กฑ ํ˜„์ƒ์€ ๋˜ํ•œ

๊ฐ€์น˜ ์žˆ๋Š” ์ฃผํƒ ์ž์‚ฐ์„ ๋ณด์œ ํ•˜๊ณ  ์žˆ์œผ๋ฉด์„œ๋„ ํ˜„๊ธˆ์„ ์›ํ•˜๋Š” ๋งŽ์€ ์ฃผํƒ ์†Œ์œ ์ž๋“ค์กฐ์ฐจ ์ง‘์„ ๊ตฌํ•  ๊ณณ์„ ์ฐพ๋Š” ๋ฐ ์–ด๋ ค์›€์„ ๊ฒช๊ณ  ์žˆ์Œ์„ ์˜๋ฏธํ•ฉ๋‹ˆ ๋‹ค.

2025๋…„ ์ดˆ๊ฐ€์„, ๋‚จ๊ฐ€์ฃผ ์ฃผํƒ ์‹œ์žฅ์€ ๊ทธ ์–ด๋А ๋•Œ๋ณด๋‹ค ๋ณ€ํ™”๋ฌด์Œํ•ฉ๋‹ˆ๋‹ค. ๋ถˆ ๊ณผ 2~3๋…„ ์ „๋งŒ ํ•ด๋„ โ€œ๋งค๋ฌผ์ด ์—†์–ด ๋ชป ์‚ฐ๋‹ค.โ€๋Š” ๋ง์ด ๋งŽ์•˜์ง€๋งŒ, ์ด์ œ๋Š”

์‚ฐ๋ถˆยท๋ณดํ—˜ยท๊ธˆ๋ฆฌยท์ปค๋ฏธ์…˜ ์ œ๋„ ๋ณ€ํ™” ๋“ฑ ์ƒˆ๋กœ์šด ๋ณ€์ˆ˜๋“ค์ด ์‹œ์žฅ์„ ํ”๋“ค ๊ณ  ์žˆ์Šต๋‹ˆ๋‹ค. ๊ทธ๋ ‡๋‹ค๋ฉด ์ง€๊ธˆ ์ง‘์„ ์‚ฌ๋ ค๋Š” ์‚ฌ๋žŒ๋“ค์€ ๋ฌด์—‡์„ ๊ฐ€์žฅ ๊ถ๊ธˆํ•ด ํ• ๊นŒ์š”? ์ œ๊ฐ€ ํ˜„์žฅ์—์„œ ์‹ค์ œ๋กœ ๊ฐ€์žฅ ๋งŽ์ด ๋ฐ›๋Š” ์งˆ๋ฌธ ๋‹ค์„ฏ ๊ฐ€์ง€์™€ ๊ทธ ํ•ด๋‹ต

์„ ์ •๋ฆฌํ•ด๋ณด์•˜์Šต๋‹ˆ๋‹ค.

1. โ€œ๋‚ด๊ฐ€ ์‚ฌ๋ ค๋Š” ๋™๋„ค, ํ™”์žฌ ์œ„ํ—˜์€ ๊ดœ์ฐฎ์„๊นŒ์š”?โ€

์˜ฌํ•ด 1์›” ํŒ”๋ฆฌ์„ธ์ด์ฆˆ์™€ ์ดํŠผ ์ง€์—ญ์„ ํœฉ์“ด ๋Œ€ํ˜• ์‚ฐ๋ถˆ์€ ๋‚จ๊ฐ€์ฃผ ์ฃผํƒ ์‹œ์žฅ ์— ์ปค๋‹ค๋ž€ ์ถฉ๊ฒฉ์„ ์ฃผ์—ˆ์Šต๋‹ˆ๋‹ค. ๋ถˆ๊ณผ ๋ฉฐ์น  ๋งŒ์— ์ˆ˜์ฒœ ์ฑ„์˜ ์ง‘์ด ๋ถˆํƒ€๋ฉด์„œ, ๋ณดํ—˜ ๊ฐ€์ž…์ด ๋ชจ๊ธฐ์ง€ ์Šน์ธ๋ณด๋‹ค ๋” ํฐ ๋‚œ๊ด€์ด ๋˜๊ณ  ์žˆ์Šต๋‹ˆ๋‹ค.

์‹ค์ œ๋กœ ์บ˜๋ฆฌํฌ๋‹ˆ์•„โ€˜FAIR Planโ€™(์ตœํ›„์˜ ๋ณดํ—˜์ œ๋„) ๊ฐ€์ž…์ž๋Š” 2023๋…„ 33

๋งŒ ๋ช…์—์„œ ์˜ฌํ•ด 61๋งŒ ๋ช…์œผ๋กœ ํญ์ฆํ–ˆ์Šต๋‹ˆ๋‹ค. ํ•˜์ง€๋งŒ ์ด ํ”Œ๋žœ์€ ๋ณด์žฅ ๋ฒ”์œ„

๊ฐ€ ์ œํ•œ์ ์ด๊ณ  ๋น„์šฉ์ด ๋งŒ๋งŒ์น˜ ์•Š์Šต๋‹ˆ๋‹ค.

๊ตฌ๋งค์ž ์ฒดํฌ๋ฆฌ์ŠคํŠธ :

* ์ž์—ฐ์žฌํ•ด ๊ณต๊ฐœ์„œ๋ฅ˜(NHDS) ํ™•์ธ ํ•„์ˆ˜

* ์†Œ๋ฐฉ ๋„๋กœยท๋ฐฉํ™” ์ง€๋ถ•ยท์Šคํ”„๋งํด๋Ÿฌ ๋“ฑ ๋ฐฉ์žฌ ์‹œ์„ค ์—ฌ๋ถ€ ์ ๊ฒ€

* ๋ณดํ—˜์‚ฌ๊ฐ€ ํ•ด๋‹น ์ฃผ์†Œ์— ์‹ค์ œ๋กœ ๋ณดํ—˜์„ ๋ฐœ๊ธ‰ํ•˜๋Š”์ง€ ์‚ฌ์ „ ํ™•์ธ

์ด์ œ๋Š” ์–ผ๋งˆ๋‚˜ ์˜ˆ์˜๊ฒŒ ๋ฆฌ๋ชจ๋ธ๋ง๋˜์—ˆ๋Š”๊ฐ€๋ณด๋‹ค ์ด ์ง‘์ด ๋ณดํ—˜์ด ๋˜๋Š”๊ฐ€๊ฐ€

๋” ์ค‘์š”ํ•œ ์‹œ๋Œ€๊ฐ€ ๋˜์—ˆ์Šต๋‹ˆ๋‹ค.

2. โ€œ๊ธˆ๋ฆฌ๊ฐ€ ๋„ˆ๋ฌด ๋†’์€๋ฐ, ๊ธฐ๋‹ค๋ ค์•ผ ํ• ๊นŒ์š”?โ€

ํ˜„์žฌ 30๋…„ ๊ณ ์ • ๋ชจ๊ธฐ์ง€ ๊ธˆ๋ฆฌ๋Š” 6%๋Œ€ ์ค‘๋ฐ˜์— ๋จธ๋ฌผ๊ณ  ์žˆ์Šต๋‹ˆ๋‹ค. ๋งŽ์€ ๋ถ„๋“ค

์ด โ€œ์กฐ๊ธˆ๋งŒ ๊ธฐ๋‹ค๋ฆฌ๋ฉด ๋” ์‹ธ๊ฒŒ ์‚ด ์ˆ˜ ์žˆ์ง€ ์•Š์„๊นŒ?โ€ํ•˜๊ณ  ๊ณ ๋ฏผํ•˜์‹ญ๋‹ˆ๋‹ค.

์ „๋ฌธ๊ฐ€๋“ค์˜ ์ „๋ง์€ ์—‡๊ฐˆ๋ฆฌ์ง€๋งŒ, ์ผ๋ถ€์—์„œ๋Š” ์—ฐ๋ง๊นŒ์ง€ 15๋…„ ๊ณ ์ • ๊ธฐ์ค€

5.5%๋Œ€๊นŒ์ง€ ๋‚ด๋ ค๊ฐˆ ๊ฐ€๋Šฅ์„ฑ์„ ์กฐ์‹ฌ์Šค๋Ÿฝ๊ฒŒ ์ด์•ผ๊ธฐํ•˜๊ณ  ์žˆ์Šต๋‹ˆ๋‹ค. ๋‹ค๋งŒ ์ง‘

๊ฐ’์ด ๋ฐ˜๋“œ์‹œ ๋‚ด๋ ค๊ฐ„๋‹ค๊ณ  ๋ณด๊ธด ์–ด๋ ต์Šต๋‹ˆ๋‹ค.

์‹ค์ œ๋กœ ์ƒŒ๋””์—์ด๊ณ ์˜ ๊ฒฝ์šฐ, ํŒฌ๋ฐ๋ฏน ์‹œ๊ธฐ์— ๊ณ ์ ์— ์ง‘์„ ์‚ฐ ๊ตฌ๋งค์ž ์ค‘ ์•ฝ

2.7%๊ฐ€ ์†์‹ค ์œ„ํ—˜์— ๋…ธ์ถœ๋˜์–ด ์žˆ์Šต๋‹ˆ๋‹ค. ๊ทธ๋Ÿผ์—๋„ ๋ถˆ๊ตฌํ•˜๊ณ , ์ง€๊ธˆ ์žฌ์ •

์ ์œผ๋กœ ์ค€๋น„๊ฐ€ ๋œ ๋ถ„๋“ค์—๊ฒ ๊ธˆ๋ฆฌ๋ฅผ ๊ธฐ๋‹ค๋ฆฌ๋А๋ผ ๋†“์น˜๋Š” ๊ธฐํšŒ๋น„์šฉ์ด ๋” ํด ์ˆ˜ ์žˆ์Šต๋‹ˆ๋‹ค.

3. โ€œ์—์ด์ „ํŠธ ์ˆ˜์ˆ˜๋ฃŒ, ํ˜‘์ƒ ๊ฐ€๋Šฅํ• ๊นŒ์š”?โ€

2024๋…„๋ถ€ํ„ฐ ์‹œํ–‰๋œ ์ƒˆ๋กœ์šด ๊ทœ์ •์€ ๋ถ€๋™์‚ฐ ๊ฑฐ๋ž˜์˜ ๋ฃฐ์„ ํฌ๊ฒŒ ๋ฐ”๊ฟ”๋†“์•˜์Šต ๋‹ˆ๋‹ค. ๊ณผ๊ฑฐ์—๋Š” ํ†ต์ƒ์ ์œผ๋กœ 5-6% ์ปค๋ฏธ์…˜์„ ์ง€๋ถˆํ–ˆ์ง€๋งŒ, ์ด์ œ๋Š” ํ˜‘์ƒ์ด ๊ฐ€๋Šฅํ•˜๋ฉฐ, ๊ตฌ๋งค์ž๊ฐ€ ์ง์ ‘ ์—์ด์ „ํŠธ ๋น„์šฉ์„ ๋ถ€๋‹ดํ•˜๋Š” ๊ตฌ์กฐ๊ฐ€ ๋Š˜๊ณ  ์žˆ์Šต๋‹ˆ ๋‹ค. ๊ตฌ๋งค์ž ์ž…์žฅ์—์„œ๋Š” ์–ด๋–ป๊ฒŒ ๋‚ด ๋ˆ์„ ์ง€๋ถˆํ•˜๊ณ  ์–ด๋–ค ์„œ๋น„์Šค๋ฅผ ๋ฐ›๋Š”๊ฐ€๋ฅผ ๋ถ„๋ช…ํžˆ ์ดํ•ดํ•˜๊ณ  ํ™œ์šฉํ•˜๋Š” ๊ฒƒ์ด ๋” ์ค‘์š”ํ•ฉ๋‹ˆ๋‹ค.

4. โ€œ์ข‹์€ ํ•™๊ตฐ์— ์žˆ๋Š” ์ง‘์€ ์—ฌ์ „ํžˆ ๋น„์Œ€๊นŒ์š”?โ€

๋‚จ๊ฐ€์ฃผ์—์„œ ํ•™๊ตฐ์€ ์—ฌ์ „ํžˆ ์ง‘๊ฐ’์„ ์›€์ง์ด๋Š” ๊ฐ€์žฅ ๊ฐ•๋ ฅํ•œ ์š”์ธ ์ค‘ ํ•˜๋‚˜์ž… ๋‹ˆ๋‹ค. ์˜ˆ๋ฅผ ๋“ค์–ด, Laguna Beach Unified School District ๋‚ด ์ฃผํƒ์˜ ํ‰๊ท  ๊ฐ€ ๊ฒฉ์€ ์•ฝ 5๋ฐฑ๋งŒ ๋‹ฌ๋Ÿฌ๋กœ, ์ธ๊ทผ ์ง€์—ญ๋ณด๋‹ค 322% ๋†’์Šต๋‹ˆ๋‹ค.

์ฆ‰, ํ•™๊ตฐ ํ”„๋ฆฌ๋ฏธ์—„์€ ์—ฌ์ „ํžˆ ์œ ํšจํ•ฉ๋‹ˆ๋‹ค. ๋‹ค๋งŒ ์ž๋…€์˜ ํ•™๋…„, ์žฅ๊ธฐ ๊ฑฐ์ฃผ ๊ณ„ ํš, ํˆฌ์ž ๋ชฉ์ ์— ๋”ฐ๋ผ ๋น„์‹ผ ํ•™๊ตฐ์— ์ง€๊ธˆ ์ง„์ž…ํ•  ๊ฒƒ์ธ์ง€ ์•„๋‹ˆ๋ฉด ์ƒˆ๋กญ๊ฒŒ ๋–  ์˜ค๋ฅด๋Š” ํ•™๊ตฐ์„ ๊ณต๋žตํ•  ๊ฒƒ์ธ์ง€์— ๋Œ€ํ•œ ์ „๋žต์  ์ ‘๊ทผ์ด ํ•„์š”ํ•ฉ๋‹ˆ๋‹ค.

Duk Young (Sophia) Yang

(213) 500-5740

- COMPASS Real Estate ๋ผ์ผ€๋ƒ๋‹ค ์˜คํ”ผ์Šค

- Commercial, Residential & Property Management - ์ „ KREBASC (๋‚จ๊ฐ€์ฃผ ๋ถ€๋™์‚ฐ ํ˜‘ํšŒ) ์ด์‚ฌ ๋ฐ ์†Œ์…œ ๋ฏธ๋””์–ด ๋‹ด๋‹น - SFR Certified(์ˆ์„ธ์ผ/์ฐจ์••/ ์€ํ–‰ ๋งค๋ฌผ ์ „๋ฌธ) Short sale/ Foreclosure/ Real Estate Owned - ๋ฐœ๋ Œ์‹œ์•„/์Šคํ‹ฐ๋ธ์Šจ๋žœ์น˜/์บ๋…„์ปจ์ธ„๋ฆฌ ๋ผ์นด๋‚˜๋‹ค/๋ผํฌ๋ผ์„ผํƒ€/ํŒŒ์‚ฌ๋ฐ๋‚˜ ์ „๋ฌธ

5. โ€œ์ง€๊ธˆ์€ ๋ฐ”์ด์–ด ์‹œ์žฅ์ผ๊นŒ์š”, ์…€๋Ÿฌ ์‹œ์žฅ์ผ๊นŒ์š”?โ€

2025๋…„ ๋“ค์–ด ๋งค๋ฌผ์ด ๋น ๋ฅด๊ฒŒ ๋Š˜๊ณ  ์žˆ๋‹ค๋Š” ๊ฒƒ์ด ์ฒด๊ฐ๋ฉ๋‹ˆ๋‹ค. ์˜ค๋ Œ์ง€์นด์šดํ‹ฐ

๋Š” ์ง€๋‚œํ•ด ๋Œ€๋น„ 46% ์žฌ๊ณ  ์ฆ๊ฐ€, ์ƒŒ๋””์—์ด๊ณ ๋Š” 44% ์ฆ๊ฐ€, LA ์นด์šดํ‹ฐ๋„ ์•ฝ 30% ๋Š˜์—ˆ์Šต๋‹ˆ๋‹ค. ๊ทธ ๊ฒฐ๊ณผ, ์ผ๋ถ€ ์ง€์—ญ์€ ์‹ค์งˆ์ ์ธ ๋ฐ”์ด์–ด ์‹œ์žฅ ๋ถ„์œ„๊ธฐ

๊ฐ€ ํ˜•์„ฑ๋˜์—ˆ๊ณ , ํ˜‘์ƒ ์—ฌ์ง€๊ฐ€ ๋” ์ปค์กŒ์Šต๋‹ˆ๋‹ค. ๋‹ค๋งŒ LA ์นด์šดํ‹ฐ ์ค‘๊ฐ„ ์ฃผํƒ๊ฐ€

๋Š” ์—ฌ์ „ํžˆ 2.9% ์ƒ์Šนํ•˜๊ณ  ์žˆ์–ด, ๋‹จ์ˆœํžˆ ๊ฐ€๊ฒฉ์ด ํญ๋ฝํ•˜๋Š” ์ƒํ™ฉ์€ ์•„๋‹™๋‹ˆ

๋‹ค. ๊ตฌ๋งค์ž์—๊ฒ ์ง€๊ธˆ์ด ๋งŽ์€ ์„ ํƒ์ง€๋ฅผ ๋‘๊ณ  ํ•ฉ๋ฆฌ์ ์ธ ํ˜‘์ƒ์„ ํ•  ์ˆ˜ ์žˆ๋Š” ๊ธฐํšŒ๊ฐ€ ๋  ์ˆ˜ ์žˆ์Šต๋‹ˆ๋‹ค.

2025๋…„ ํ˜„์žฌ ๋‚จ๊ฐ€์ฃผ ๋ถ€๋™์‚ฐ ์‹œ์žฅ์€ ๋ณดํ—˜, ๊ธˆ๋ฆฌ, ์ˆ˜์ˆ˜๋ฃŒ, ํ•™๊ตฐ, ์žฌ๊ณ ๋ผ๋Š” ๋‹ค์„ฏ ๊ฐ€์ง€ ํ‚ค์›Œ๋“œ๋กœ ์š”์•ฝ๋ฉ๋‹ˆ๋‹ค. ์ด ๋ชจ๋“  ์ฃผ์ œ๋Š” ๊ฒฐ๊ตญ ๊ตฌ๋งค์ž ๊ฐœ๊ฐœ์ธ์˜

์ƒํ™ฉ๊ณผ ์ „๋žต์— ๋”ฐ๋ผ ๋‹ค๋ฅธ ๋‹ต์ด ๋‚˜์˜ต๋‹ˆ๋‹ค.

์ตœ๊ณ ์˜ ํ•™๊ตฐ๊ณผ ํ’ˆ๊ฒฉ ์žˆ๋Š” ์ฃผ๊ฑฐ์ง€๊ฐ€ ๋งŒ๋‚˜๋Š” ๊ณณ, ๋ผ์นด๋ƒ๋‹ค ํ”Œ๋ฆฐํŠธ๋ฆฌ์ง€ ์ตœ๊ณ  ์˜ ์ง‘์œผ๋กœ ์•ˆ๋‚ดํ•ฉ๋‹ˆ๋‹ค.

์™œ ๋ผ์นด๋ƒ๋‹ค ํ”Œ๋ฆฐํŠธ๋ฆฌ์ง€๊ฐ€ ์ตœ๊ณ ์˜ ๊ฑฐ์ฃผ์ง€์ธ๊ฐ€์š”?

์ œ๊ฐ€ ํ™œ๋™ํ•˜๋Š” ๋ผ์นด๋ƒ๋‹ค ํ”Œ๋ฆฐํŠธ๋ฆฌ์ง€(La Caรฑada Flintridge)๋Š” ๋‚จ๊ฐ€์ฃผ์—์„œ ๋„ ์†๊ผฝํžˆ๋Š” ์ฃผ๊ฑฐ์ง€์ž…๋‹ˆ๋‹ค. ์ด ์ง€์—ญ์ด ๊พธ์ค€ํžˆ โ€˜์ตœ๊ณ ์˜ ๊ฑฐ์ฃผ์ง€โ€™๋กœ ๊ผฝํžˆ ๋Š” ์ด์œ ๋Š” ๋ช‡ ๊ฐ€์ง€๋กœ ์ •๋ฆฌํ•  ์ˆ˜ ์žˆ์Šต๋‹ˆ๋‹ค.

* ์ตœ๊ณ  ์ˆ˜์ค€์˜ ํ•™๊ตฐ -La Caรฑada Unified School District๋Š” ์บ˜๋ฆฌํฌ๋‹ˆ์•„ ์ „์ฒด์—์„œ๋„ ์ƒ์œ„๊ถŒ์— ์†ํ•˜๋ฉฐ, ๊พธ์ค€ํžˆ ๋ช…๋ฌธ ํ•™๊ตฐ์œผ๋กœ ํ‰๊ฐ€๋ฐ›์Šต๋‹ˆ๋‹ค.

* ์•ˆ์ „ํ•˜๊ณ  ์กฐ์šฉํ•œ ํ™˜๊ฒฝ-๋ฒ”์ฃ„์œจ์ด ๋‚ฎ๊ณ , ๊ฐ€์กฑ ๋‹จ์œ„ ๊ฑฐ์ฃผ์— ์ด์ƒ์ ์ธ ์•ˆ์ „ํ•œ ์ปค๋ฎค๋‹ˆํ‹ฐ๊ฐ€ ํ˜•์„ฑ๋˜์–ด ์žˆ์Šต๋‹ˆ๋‹ค.

* ํ”„๋ผ์ด๋ฒ„์‹œ์™€ ์ž์—ฐํ™˜๊ฒฝ-๋„“์€ ๋ถ€์ง€, ์กฐ์šฉํ•œ ์ฃผํƒ๊ฐ€, ์‚ฐ๊ณผ ๊ณต์›์— ์ธ ์ ‘ํ•ด ์žˆ์–ด ๋„์‹ฌ๊ณผ ๋‹ค๋ฅธ ์พŒ์ ํ•œ ๋ผ์ดํ”„์Šคํƒ€์ผ์„ ์ œ๊ณตํ•ฉ๋‹ˆ๋‹ค.

* ํŽธ๋ฆฌํ•œ ์ ‘๊ทผ์„ฑ- 210๋ฒˆ ํ”„๋ฆฌ์›จ์ด๋ฅผ ํ†ตํ•ด ํŒŒ์‚ฌ๋ฐ๋‚˜, DTLA๊นŒ์ง€ 20๋ถ„

๋‚ด์™ธ๋กœ ์ด๋™ ๊ฐ€๋Šฅํ•ด, ์ง์žฅ๊ณผ ์ƒํ™œ์˜ ๊ท ํ˜•์„ ์œ ์ง€ํ•˜๊ธฐ ์ข‹์Šต๋‹ˆ๋‹ค. ์ด๋Ÿฐ ์š”

์†Œ๋“ค์ด ๋ชจ์—ฌ, ๋ผ์นด๋ƒ๋‹ค ํ”Œ๋ฆฐํŠธ๋ฆฌ์ง€๋Š” ๋Ÿญ์…”๋ฆฌ ํ™ˆ ๊ตฌ๋งค์ž์™€ ๊ฐ€์กฑ ๋‹จ์œ„ ๋ฐ”์ด

์–ด๋“ค์—๊ฒŒ ๊ฐ€์žฅ ๋งค๋ ฅ์ ์ธ ์„ ํƒ์ง€๊ฐ€ ๋˜๊ณ  ์žˆ์Šต๋‹ˆ๋‹ค.

์ €๋Š” ๋งค์ผ ๊ณ ๊ฐ๋“ค์—๊ฒŒ ์ด๋ ‡๊ฒŒ ๋ง์”€๋“œ๋ฆฝ๋‹ˆ๋‹ค.

โ€œ์‹œ์žฅ์€ ๋ณ€ํ•˜์ง€๋งŒ, ๋‹น์‹ ์˜ ๋ชฉํ‘œ๋Š” ๋ณ€ํ•˜์ง€ ์•Š์Šต๋‹ˆ๋‹ค. ์ œ๊ฐ€ ์—ฌ๋Ÿฌ๋ถ„์˜ ๋ชฉํ‘œ

์— ๋งž๋Š” ์ตœ์ ์˜ ์„ ํƒ์ง€๋ฅผ ํ•จ๊ป˜ ์ฐพ์•„ ๋“œ๋ฆฌ๊ฒ ์Šต๋‹ˆ๋‹ค.

๋งŒ์•ฝ ์ง€๊ธˆ ์ง‘์„ ์‚ฌ์•ผ ํ• ์ง€, ์กฐ๊ธˆ ๋” ๊ธฐ๋‹ค๋ ค์•ผ ํ• ์ง€ ๊ณ ๋ฏผ๋œ๋‹ค๋ฉด ์ „๋ฌธ๊ฐ€์˜

๋ฐ์ดํ„ฐ๋ฅผ ๊ธฐ๋ฐ˜ํ•œ ์ƒ๋‹ด์ด ํ•„์š”ํ•ฉ๋‹ˆ๋‹ค. ์–ธ์ œ๋“  ํŽธํ•˜๊ฒŒ ์—ฐ๋ฝ ์ฃผ์‹œ๋ฉด, ๋‹น์‹ ์— ๊ฒŒ ๋งž๋Š” ๋งž์ถคํ˜• ํ•ด๋‹ต์„ ๋“œ๋ฆฌ๊ฒ ์Šต๋‹ˆ๋‹ค.

From Family Dreams to Luxury Living -La Canada Expert

Sophia Yang | Compass Real Estate Agent (213) 500-5740

๋ผ์นด๋ƒ๋‹ค ํ”Œ๋ฆฐํŠธ๋ฆฌ์ง€ ยท ํŒŒ์‚ฌ๋ฐ๋‚˜ ยท ํ–‰์ฝ•ํŒ ์ „๋ฌธ

Luxury Home & Buyer Representation

7์›” 4์ผ '์› ๋น… ๋ทฐํ‹ฐํ’€ ๋ฒ•์•ˆ(One Big Beautiful Bill)'์ด ๋ฒ•์œผ๋กœ ์ œ์ •๋˜๋ฉด์„œ

์•„๋™์„ ์œ„ํ•œ ์ƒˆ๋กœ์šด ๊ณ„์ขŒ๊ฐ€ ๋งŒ๋“ค์–ด์กŒ๋‹ค.

์†Œ์œ„ "ํŠธ๋Ÿผํ”„ ๊ณ„์ขŒ"๋Š” ์•„๊ธฐ ์ถœ์ƒ ์‹œ ์ •๋ถ€๋กœ๋ถ€ํ„ฐ 1,000๋‹ฌ๋Ÿฌ์˜ ์ผํšŒ์„ฑ ์˜ˆ๊ธˆ

์„ ์ œ๊ณตํ•˜๋ฉฐ, ๋ถ€๋ชจ์™€ ์นœ์ฒ™์—๊ฒŒ ๋งค๋…„ ์ถ”๊ฐ€ ์ ๋ฆฝ ๊ธฐํšŒ๋ฅผ ์ œ๊ณตํ•œ๋‹ค.

์žฌ๋ฌด๋ถ€๋Š” ์ด ๊ณ„์ขŒ๊ฐ€ 28๋…„ ๋™์•ˆ 190๋งŒ ๋‹ฌ๋Ÿฌ๊นŒ์ง€ ๋Š˜์–ด๋‚  ์ˆ˜ ์žˆ๋‹ค๊ณ  ์ฃผ์žฅํ•œ

๋‹ค. ํ•˜์ง€๋งŒ ์ด ๋ชฉํ‘œ๋ฅผ ๋‹ฌ์„ฑํ•˜๋ ค๋ฉด ๋ถ€๋ชจ๋Š” ์ดˆ๊ธฐ 1,000๋‹ฌ๋Ÿฌ์˜ ์ข…์ž๊ธˆ ์™ธ์—

๋„ ์ƒ๋‹นํ•œ ์ถ”๊ฐ€ ์ž๊ธˆ์„ ํˆฌ์žํ•ด์•ผ ํ•œ๋‹ค. ์ด ๊ณ„์ขŒ์— ๋Œ€ํ•ด ์•Œ์•„์•ผ ํ•  ์‚ฌํ•ญ, ์ž‘๋™ ๋ฐฉ์‹, ์ฆ๊ฐ€ ๊ฐ€๋Šฅ ๊ธˆ์•ก, ๊ทธ๋ฆฌ๊ณ  ๋ถ€๋ชจ๊ฐ€ ์ž๋…€๋ฅผ ์œ„ํ•ด ํ™œ์šฉํ•  ์ˆ˜ ์žˆ๋Š” ๋‹ค

๋ฅธ ์ธ๊ธฐ ํˆฌ์ž ์˜ต์…˜๊ณผ์˜ ๋น„๊ต๋Š” ๋‹ค์Œ๊ณผ ๊ฐ™๋‹ค.

์ƒˆ๋กœ์šด ํŠธ๋Ÿผํ”„ ๊ณ„์ขŒ ์šด์˜ ๋ฐฉ์‹ '์› ๋น… ๋ทฐํ‹ฐํ’€ ๋ฒ•์•ˆ(One Big Beautiful Bill)'์€ ๋ถ€๋ชจ๊ฐ€ 2024๋…„ 12์›” 31์ผ ~ 2029๋…„ 1์›” 1์ผ ์‚ฌ์ด์— ํƒœ์–ด๋‚œ ์ž๋…€๋ฅผ ์œ„ํ•ด ์›ํ•˜๋Š” ์€ํ–‰์—์„œ ํŠธ๋Ÿผํ”„ ๊ณ„

์ขŒ๋ฅผ ๊ฐœ์„คํ•  ์ˆ˜ ์žˆ๋„๋ก ํ—ˆ์šฉํ•˜๋ฉฐ, ์ •๋ถ€๋Š” ์ตœ์ดˆ ํˆฌ์ž๊ธˆ 1,000๋‹ฌ๋Ÿฌ๋ฅผ ์ง€์› ํ•œ๋‹ค. ๋‹จ, ์ž๋…€๋Š” ์‚ฌํšŒ๋ณด์žฅ๋ฒˆํ˜ธ๋ฅผ ์†Œ์ง€ํ•œ ๋ฏธ๊ตญ ์‹œ๋ฏผ๊ถŒ์ž์—ฌ์•ผ ํ•œ๋‹ค. ๋ฌผ๋ก  ๋‹ค๋ฅธ ์‹œ๊ธฐ์— ํƒœ์–ด๋‚œ ์ž๋…€๋ฅผ ์œ„ํ•ด ํŠธ๋Ÿผํ”„ ๊ณ„์ขŒ๋ฅผ ๊ฐœ์„คํ•  ์ˆ˜๋Š” ์žˆ์ง€ ๋งŒ, ์ด ๊ธฐ๊ฐ„ ์™ธ์— ํƒœ์–ด๋‚œ ์ž๋…€๋Š” 1,000๋‹ฌ๋Ÿฌ์˜ ์ดˆ๊ธฐ ํˆฌ์ž๊ธˆ์„ ๋ฐ›์„ ์ˆ˜ ์—†๋‹ค. ์ด ํˆฌ์ž๊ธˆ์€ S&P 500๊ณผ ๊ฐ™์€ ๊ธˆ์œต ์ง€์ˆ˜๋ฅผ ์ถ”์ข…ํ•˜๋Š” ๋ฎค์ถ”์–ผ ํŽ€๋“œ๋‚˜ ETF ์™€ ๊ฐ™์€ ์ ๊ฒฉ ํˆฌ์ž ์ƒํ’ˆ์— ํˆฌ์žํ•  ์ˆ˜ ์žˆ๋‹ค.

ํˆฌ์ž ์ˆ˜์ˆ˜๋ฃŒ๋‚˜ ๋น„์šฉ์€ 0.1%๋ฅผ ์ดˆ๊ณผํ•  ์ˆ˜ ์—†์œผ๋ฉฐ, ๋ฏธ๊ตญ ๊ธฐ์—…์„ ์ฃผ๋กœ ํฌํ•จํ•˜

๋Š” ์ฃผ์‹ ํˆฌ์ž๋ฅผ ํฌํ•จํ•ด์•ผ ํ•œ๋‹ค.

๋ถ€๋ชจ๋Š” ์ด ๊ณ„์ขŒ์— ์—ฐ๊ฐ„ ์ตœ๋Œ€ 5,000๋‹ฌ๋Ÿฌ๊นŒ์ง€ ์ž…๊ธˆํ•  ์ˆ˜ ์žˆ์œผ๋ฉฐ, ๊ณ ์šฉ์ฃผ๋Š” ์ตœ๋Œ€ 2,500๋‹ฌ๋Ÿฌ๊นŒ์ง€ ๋ถˆ์ž…ํ•ด ์ค„ ์ˆ˜ ์žˆ๋‹ค(๋‹จ, ๊ณ ์šฉ์ฃผ๊ฐ€ ๋ถˆ์ž…ํ•œ 2,500๋‹ฌ๋Ÿฌ๋Š” ์—ฐ๊ฐ„ 5,000๋‹ฌ๋Ÿฌ ํ•œ๋„์— ํฌํ•จ๋œ๋‹ค). ์ด ๊ธˆ์•ก์€ ๋ฌผ๊ฐ€์ƒ์Šน๋ฅ ์„ ๋ฐ˜์˜ํ•˜์—ฌ ์กฐ ์ •๋œ๋‹ค. ๊ณ ์šฉ์ฃผ ๋ถˆ์ž…๊ธˆ์—๋Š” ์„ธ๊ธˆ์ด ๋ถ€๊ณผ๋˜์ง€ ์•Š์ง€๋งŒ, ๋ถ€๋ชจ ๋ถˆ์ž…๊ธˆ์€ ์„ธ๊ธˆ

๊ณต์ œ ๋Œ€์ƒ์ด ์•„๋‹ˆ๋‹ค.

ํˆฌ์ž๋œ ์ž๊ธˆ์€ ์ธ์ถœ๋  ๋•Œ๊นŒ์ง€ ์„ธ๊ธˆ ์—†์ด ์„ฑ์žฅํ•˜๋ฉฐ, ์ž๋…€๋Š” 18์„ธ๊ฐ€ ๋˜๋ฉด ์ธ์ถœํ•  ์ˆ˜ ์žˆ๋‹ค. 18์„ธ๊ฐ€ ๋˜๋ฉด ์ธ์ถœ ์‹œ ์„ธ๊ธˆ์ด ๋ถ€๊ณผ๋˜๋ฉฐ, ์„ธ๊ธˆ์ƒ IRA์™€ ๋™ ์ผํ•˜๊ฒŒ ์ฒ˜๋ฆฌ๋œ๋‹ค.

* ์ธ์ถœ ์‹œ ์ผ๋ฐ˜ ์†Œ๋“์„ธ์œจ์ด ์ ์šฉ๋œ๋‹ค.

* ์ธ์ถœ ์‹œ 59.5์„ธ ์ด์ „์— ์ธ์ถœํ•˜๊ฑฐ๋‚˜ ๋Œ€ํ•™ ํ•™์ž๊ธˆ์ด๋‚˜ ์ฃผํƒ ๋งˆ๋ จ ๋“ฑ ์ ๊ฒฉ

๋ชฉ์ ์œผ๋กœ ์‚ฌ์šฉํ•˜์ง€ ์•Š๋Š” ํ•œ 10%์˜ ๋ฒŒ๊ธˆ์ด ๋ถ€๊ณผ๋œ๋‹ค.

์ด ๊ณ„์ขŒ์˜ ๋ชฉํ‘œ๋Š” ์ž๋…€๋“ค์ด ๋ณต๋ฆฌ๋กœ ์„ฑ์žฅํ•˜๋Š” ํ˜œํƒ์„ ๋ˆ„๋ฆฌ๋„๋ก ํ•˜๋Š” ๊ฒƒ์ด

๋ฉฐ, ์žฌ๋ฌด๋ถ€์˜ ์„ค๋ช…์— ๋”ฐ๋ฅด๋ฉด ์ด ๊ณ„์ขŒ๋Š” 28์„ธ๊นŒ์ง€ ์ตœ๋Œ€ 190๋งŒ ๋‹ฌ๋Ÿฌ์˜ ๊ฐ€์น˜

๋ฅผ ๊ฐ€์งˆ ์ˆ˜ ์žˆ๋‹ค. ํ•˜์ง€๋งŒ ์ด๋ฅผ ์œ„ํ•ด์„œ๋Š” ๋ถ€๋ชจ๊ฐ€ ๊ณ„์ขŒ ํ•œ๋„๋ฅผ ์ดˆ๊ณผํ•˜๊ฑฐ๋‚˜

์ž๋…€๊ฐ€ 17์„ธ๊ฐ€ ๋  ๋•Œ๊นŒ์ง€ ๋งค๋…„ ์ตœ๋Œ€ ๊ธˆ์•ก์„ ํˆฌ์žํ•ด์•ผ ํ•œ๋‹ค(์—ฐ๊ฐ„ 5,000๋‹ฌ ๋Ÿฌ๋กœ ์‹œ์ž‘ํ•˜๋ฉฐ ๋ฌผ๊ฐ€ ์ƒ์Šน๋ฅ ์„ ๋ฐ˜์˜ํ•˜์—ฌ ์กฐ์ •๋œ๋‹ค).

์žฌ๋ฌด๋ถ€์— ๋”ฐ๋ฅด๋ฉด ์ถ”๊ฐ€ ๋ถˆ์ž…๊ธˆ์ด ์—†๋‹ค๋ฉด ์ดˆ๊ธฐ 1,000๋‹ฌ๋Ÿฌ๋ผ๋„ 18๋…„ ๋™์•ˆ 3,000๋‹ฌ๋Ÿฌ์—์„œ 13,800๋‹ฌ๋Ÿฌ ์‚ฌ์ด๋กœ ๋ถˆ์–ด๋‚  ์ˆ˜ ์žˆ์œผ๋ฉฐ, ์ด ๊ธˆ์•ก์€ ๊ณ„์ขŒ์˜ ์ตœ์ข… ์‹ค์ ์— ๋”ฐ๋ผ ๋‹ฌ๋ผ์ง„๋‹ค.

์ด ๊ณ„์ขŒ๋“ค์€ ๊ณผ์—ฐ ๊ฐ€์น˜๊ฐ€ ์žˆ์„๊นŒ? ํŠธ๋Ÿผํ”„ ๊ณ„์ขŒ๋Š” ๋ถ€๋ชจ๊ฐ€

์ž๋…€๊ฐ€ ๋ถˆ์ž…ํ•  ์ผ๋ฐ˜ ์†Œ๋“์ด ์žˆ๋Š” ๊ฒฝ์šฐ Roth IRA๊ฐ€ ๋” ๋‚˜์€ ์„ ํƒ์ด ๋  ์ˆ˜ ์žˆ๋‹ค. Roth IRA๋Š” 59.5์„ธ ์ดํ›„์—๋Š” ์„ธ๊ธˆ ์—†์ด ์ธ์ถœํ•  ์ˆ˜ ์žˆ๊ณ , ์–ธ์ œ๋“  ๋ฒŒ ๊ธˆ ์—†์ด ๋ถˆ์ž…๊ธˆ์„ ์ธ์ถœํ•  ์ˆ˜ ์žˆ๊ธฐ ๋•Œ๋ฌธ์ด๋‹ค.

529 ๊ณ„์ขŒ๋„ ๋” ๋‚˜์€ ์„ ํƒ์ด ๋  ์ˆ˜ ์žˆ๋‹ค.

์ ๊ฒฉ ๊ต์œก๋น„๋กœ ์‚ฌ์šฉํ•  ๊ฒฝ์šฐ ์„ธ๊ธˆ ์—†์ด ์ธ์ถœํ•  ์ˆ˜ ์žˆ๊ธฐ ๋•Œ๋ฌธ์ด๋‹ค.

UTMA(Uniform Transfers to Minors Account)๋„ ์–ด๋–ค ์ด์œ ๋กœ๋“  ๋ฒŒ๊ธˆ ์—†์ด

์ธ์ถœํ•˜๊ฑฐ๋‚˜ ๋‹ค๋ฅธ ๊ณ„์ขŒ๋กœ ์ด์ฒดํ•  ์ˆ˜ ์žˆ๊ธฐ ๋•Œ๋ฌธ์— ๋” ๋ฐ”๋žŒ์งํ•  ์ˆ˜ ์žˆ๋‹ค. ๋˜

์ˆ˜์ต์— ๋Œ€ํ•ด ๋” ์œ ๋ฆฌํ•œ ์–‘๋„์†Œ๋“์„ธ์œจ๋กœ ๊ณผ์„ธ๋  ์ˆ˜ ์žˆ๋‹ค. ๋Œ€๋ถ€๋ถ„์˜ ๋ถ€๋ชจ๋Š” ๋” ๋งŽ์€ ํ˜œํƒ์„ ์ œ๊ณตํ•˜๋Š” ๊ธฐ์กด ๊ณ„์ขŒ์˜ ํ•œ๋„๋ฅผ ์ดˆ๊ณผํ•˜์ง€

์•Š์œผ๋ฏ€๋กœ ํŠธ๋Ÿผํ”„ ๊ณ„์ขŒ์— 5,000๋‹ฌ๋Ÿฌ๋ฅผ ์ „์•ก ์ ๋ฆฝํ•  ๊ฐ€๋Šฅ์„ฑ์€ ๋‚ฎ๋‹ค. ํ•˜์ง€

๋งŒ 1,000๋‹ฌ๋Ÿฌ๋Š” ํ•ด๋‹น ์—ฐ๋„์— ํƒœ์–ด๋‚œ ์•„๊ธฐ๋ฅผ ์œ„ํ•œ ๊ฒƒ์ด๋‹ค. ๋”ฐ๋ผ์„œ ๋‹ค๋ฅธ ๋ฐฉ

๋ฒ•์ด ์—†๋”๋ผ๋„ ๋ถ€๋ชจ๋Š” ๊ณ„์ขŒ๋ฅผ ๊ฐœ์„คํ•˜์—ฌ ํ•ด๋‹น ๊ธˆ์•ก์„ ์ธ์ถœํ•˜๊ณ  ์„ฑ์žฅํ•˜๋„

๋ก ๋‘๋Š” ๊ฒƒ์ด ์ข‹๋‹ค.

๋ฏธ๊ตญ ์ •๋ถ€๊ฐ€ ์ฃผ๋Š” ์ถ”๊ฐ€ ์ง€์›๊ธˆ์€ ์—ฌ์ „ํžˆ ์ถ”๊ฐ€ ์ง€์›๊ธˆ์ด๋‹ค.

์›ƒ๋Š” ์–ผ๊ตด์— ์นจ ๋ฑ‰์ง€ ๋ชปํ•œ๋‹ค๋Š” ๋ง์ด ์žˆ๋‹ค.

- ๊ธ€: ์ง€์ƒ๋ฌธ

๋งˆ์Œ์˜ ๊ฑฐ์šธ์ธ ์–ผ๊ตด์ด ์›ƒ์Œ์„ ๋ ๋ฉด ์ด์›ƒ์ด ๋ชจ๋‘ ์ฆ๊ฑฐ์›Œ์ง„๋‹ค. ๊ทธ๋Ÿฐ๋ฐ ์›ƒ

๋‹ค๊ฐ€ ํ˜ผ๋‚œ ์—ฌ์ธ์ด ์žˆ๋‹ค.

โ€˜์ง€๋ฆ„๊ธธ ๋ฌป๊ธธ๋ž˜ ์›ƒ๊ณ  ์•Œ๋ ค์ฃผ๊ณ / ๋ฌผ ํ•œ ๋ชจ๊ธˆ ๋‹ฌ๋ž˜๊ธฐ์— ์›ƒ๊ณ  ๋–  ์ฃผ์—ˆ์ง€์š”/

ํ‰์–‘์„ฑ ํ•ด ์•ˆ ๋œฌ๋Œ€๋„/ ๋‚œ ๋ชฐ๋ผ์š” ์›ƒ์€ ์ฃ„๋ฐ–์—โ€™ ๋ฌผ ๊ธท๋Š” ์ Š์€ ์•„๋‚™์ด ๋‹ค๊ฐ€

์˜จ ๋‚˜๊ทธ๋„ค์—๊ฒŒ ๋ฌผ ํ•œ ๋ฐ”๊ฐ€์ง€ ๊ฑด๋„ค์ฃผ๋ฉฐ ์‚ด์ง ์›ƒ์Œ์„ ๋ค ๊ฒƒ ๊ฐ™์€๋ฐ ์ด๊ฒƒ์ด

๋งˆ์„์–ด๋ฅธ๋“ค์—๊ฒŒ ์•Œ๋ ค์ง€๋ฉด์„œ ์›ƒ์Œ์ด ํ—คํ”ˆ ์—ฌ์ž๋ผ๊ณ  ํ˜ผ๋‚˜๋Š” ๋ชจ์Šต์ด ๋ˆˆ์— ์„ ํ•˜๊ฒŒ ๋“ค์–ด์˜จ๋‹ค.

์ง€๋‚˜๋Š” ๋‚˜๊ทธ๋„ค๊ฐ€ ์†Œ๋„๋‘‘๋†ˆ์ด๋‚˜ ์‚ฐ๋„์ ์ฒ˜๋Ÿผ ์šฐ๋ฝ๋ถ€๋ฝ ํ•˜๋‹ค๋ฉด ๋ชจ๋ฅผ๊นŒ ๊ทธ

๋Ÿด๋“ฏํ•œ ์–ผ๊ตด์ด๋ผ๋ฉด ์–ด์ฐŒ ์ฐŒํ‘ธ๋ฆฐ ์–ผ๊ตด๋กœ ๋ฌผ์„ ๊ฑด๋„ฌ๊นŒ, ์ž ๊น์ด๋ผ๋„ ์›ƒ์–ด์ค˜

์•ผ์ง€. ์–ผ๋งˆ๋‚˜ ํ˜ผ๋‚ฌ๊ธฐ์— ํ‰์–‘์„ฑ์— ํ•ด ๋œจ๊ณ  ์•ˆ ๋œจ๋Š” ๊ฒƒ๊นŒ์ง€ ๋“ค๋จน์ด๋ฉฐ ์›ƒ์€

์ฃ„๋ฐ–์— ์—†๋‹ค๊ณ  ํ‘ธ๋…์„ ํ–ˆ์„๊นŒ.

๊ทธ๋Ÿฌ๋‹ˆ ์›ƒ๋Š”๋‹ค๋Š” ๊ฒƒ๋„ ๋•Œ๋ฅผ ๊ฐ€๋ฆด ์ค„ ์•Œ์•„์•ผ ํ•˜๊ณ  ์–ด๋–ป๊ฒŒ ์›ƒ์–ด์•ผ ํ•˜๋Š”๊ฐ€

์ข…๋ฅ˜๋„ ๋งŽ์€ ๊ฒƒ ๊ฐ™์œผ๋‹ˆ ์›ƒ๋Š” ์–ผ๊ตด์„ ๊ฐ–๊ณ  ๋‹ค๋‹ˆ๋Š” ๊ฒƒ ๋˜ํ•œ ์‰ฌ์šด ์ผ์ด ์•„๋‹

ํ„ฐ์ด๋‹ค.

๊นจ๋—ํ•œ ์›ƒ์Œ์€ ๊ธฐ์˜๊ฑฐ๋‚˜ ๋งŒ์กฑํ•  ๋•Œ ๋˜๋Š” ์ข€ ๋ถ€๋„๋Ÿฌ์šธ ๋•Œ ๋‚˜์˜ค๋Š” ์ž์—ฐ์Šค ๋Ÿฐ ์›ƒ์Œ์ด๋‹ค.

๊น”๊น” ๋˜๋Š” ๋‚„๋‚„๊ฑฐ๋ฆฌ๋Š” ๊ฒƒ์€ ์›ƒ๋Š” ๋™์ž‘์„ ๋‚˜ํƒ€๋‚ด๊ณ  ์›ƒ๋Š” ์†Œ๋ฆฌ๋Š” ๊ฑฐ์˜

โ€˜ใ…Žโ€™์œผ๋กœ ๋‚˜ํƒ€๋‚ธ๋‹ค.

ํ•˜ํ•˜, ํ—คํ—ค, ํ˜ธํ˜ธ, ํ›„ํ›„, ํํ, ํžˆํžˆ. ์ฃฝ์œผ๋ฉด์„œ๋„ ์šฐ๋ฆฌ๋ฅผ ์›ƒ๊ฒŒ ํ•œ ์นœ๊ตฌ๊ฐ€ ์žˆ ๋‹ค. โ€˜๋‚ด ์šฐ๋ฌผ์ญˆ๋ฌผํ•˜๋‹ค๊ฐ€ ์ด๋ ‡๊ฒŒ ๋  ์ค„ ์•Œ์•˜๋‹ค.โ€™

์ž์‹ ์ด ์“ด ๊ธ€์„ ์ž์‹ ์˜ ๋ฌ˜ ์•ž์— ์„ธ์›Œ๋†“๊ณ  ๋“œ๋Ÿฌ๋ˆ„์›Œ ๋ฒ„๋ฆฐ ๋ฒ„๋‚˜๋“œ ์‡ผ (George Bernard Shaw)๊ฐ€ ๊ทธ๋‹ค. โ€˜์™œ ์‚ฌ๋А๋ƒ ๋ฌป๊ฑฐ๋“  ๊ทธ๋ƒฅ ์›ƒ์ง€์š”.โ€™ ์šฐ

๋ฆฌ์˜ ์–ด๋А ํ•œ ์‹œ์ธ์ด ์Š์–ด์ค€ ๋จผ์ง„ ์›ƒ์Œ์†Œ๋ฆฌ๋‹ค.

์‚ฌ๋žŒ์€ ๋ˆˆ์œผ๋กœ ๋ณธ๋‹ค๊ณ  ์ƒ๊ฐํ•˜์ง€๋งŒ ์‹ค์ œ๋กœ๋Š” ๋ณธ ๊ฒƒ์„ ๋งˆ์Œ์œผ๋กœ ํ•ด์„ํ•ฉ ๋‹ˆ๋‹ค. ๊ฐ™์€ ๊ฒƒ์„ ๋ณด์•„๋„ ๊ฐ์ž์˜ ๊ฒฝํ—˜๊ณผ ๊ด€์ ์— ๋”ฐ๋ผ ์ „ํ˜€ ๋‹ค๋ฅธ ํŒ๋‹จ์„

๋‚ด๋ฆฌ๋Š” ์ด์œ ์ž…๋‹ˆ๋‹ค.

๋ฏธ๊ตญ ์‹ฌ๋ฆฌํ•™์ž <์กฐ์ง€ํ”„ ์žฌ์ŠคํŠธ๋กœ>๊ฐ€ ์ œ์‹œํ•œ โ€˜์˜ค๋ฆฌ-ํ† ๋ผ ๊ทธ๋ฆผ ์‹คํ—˜โ€™

์ด ์ข‹์€ ์˜ˆ์ž…๋‹ˆ๋‹ค.

์–ด๋–ค ์ด๋Š” ์˜ค๋ฆฌ๋กœ, ๋‹ค๋ฅธ ์ด๋Š” ํ† ๋ผ๋กœ ๋ด…๋‹ˆ๋‹ค. ๊ฐ™์€ ๊ทธ๋ฆผ์ธ๋ฐ ๋‹ค๋ฅด๊ฒŒ ๋ง

ํ•ฉ๋‹ˆ๋‹ค. ๋‹ค๋ฅด๊ฒŒ ํ•ด์„ํ•˜๊ธฐ ๋•Œ๋ฌธ์ž…๋‹ˆ๋‹ค.

์„ฑ๊ฒฝ์—์„œ๋„ ๊ด€์ ์˜ ์ฐจ์ด๊ฐ€ ์ธ์ƒ์„ ๊ฐˆ๋ผ๋†“๋Š” ์‚ฌ๊ฑด์ด ์žˆ์Šต๋‹ˆ๋‹ค. ๋ฏผ์ˆ˜๊ธฐ

13์žฅ์˜ 12์ •ํƒ๊พผ ์ด์•ผ๊ธฐ์ž…๋‹ˆ๋‹ค.

๋ชจ๋‘๊ฐ€ ๊ฐ™์ด ์ –๊ณผ ๊ฟ€์ด ํ๋ฅด๋Š” ๊ฐ€๋‚˜์•ˆ ๋•…์„ ๋ณด์•˜์Šต๋‹ˆ๋‹ค. ๊ทธ๋Ÿฌ๋‚˜ ํ•ด์„์ด

๋‹ฌ๋ž์Šต๋‹ˆ๋‹ค.

์—ด ๋ช…์€ โ€œ๊ทธ ๋•… ์ฃผ๋ฏผ์€ ๊ฐ•ํ•˜๊ณ , ์šฐ๋ฆฌ๋Š” ๋ฉ”๋šœ๊ธฐ ๊ฐ™๋‹คโ€๋ฉฐ ์ ˆ๋งํ–ˆ์Šต๋‹ˆ๋‹ค.

๊ฐˆ๋ ™๊ณผ ์—ฌํ˜ธ์ˆ˜์•„๋Š” โ€œ์šฐ๋ฆฌ๊ฐ€ ๋Šฅํžˆ ๊ทธ ๋•…์„ ์ทจํ•˜๋ฆฌ๋ผโ€ ๋ผ๋Š” ๋ฏฟ์Œ์˜ ์„ 

์–ธ์„ ํ–ˆ์Šต๋‹ˆ๋‹ค.

๋•…์€ ๊ฐ™์•˜์ง€๋งŒ, ๋ณด๋Š” ๊ด€์ ์ด ๋‹ฌ๋ž์Šต๋‹ˆ๋‹ค. ์ด ์ฐจ์ด๊ฐ€ ์ด์Šค๋ผ์—˜์˜ ์šด๋ช…์„

๋ฐ”๊พธ์—ˆ์Šต๋‹ˆ๋‹ค.

์ถœ์• ๊ตฝ 1์„ธ๋Œ€๊ฐ€ ์•ฝ์†์˜ ๋•…์— ๋“ค์–ด๊ฐ€์ง€ ๋ชปํ•œ ์ด์œ ๋Š” ๊ทธ๊ณณ์— ๊ฑฐ์ธ์กฑ์ด ์žˆ

์–ด์„œ๊ฐ€ ์•„๋‹ˆ๋ผ, ์ž˜๋ชป๋œ ๊ด€์  ๋•Œ๋ฌธ์ด์—ˆ์Šต๋‹ˆ๋‹ค.

์ธ์ƒ์€ ๋Š์ž„์—†๋Š” ์„ ํƒ์˜ ์—ฐ์†์ž…๋‹ˆ๋‹ค. ์ฒ ํ•™์ž ์‚ฌ๋ฅดํŠธ๋ฅด๋Š” โ€œ์ธ์ƒ์€ B์™€

D ์‚ฌ์ด์˜ C์™€ ๊ฐ™๋‹คโ€ ๊ณ  ํ–ˆ์Šต๋‹ˆ๋‹ค.

B(Birth, ํƒ„์ƒ)์™€ D(Death, ์ฃฝ์Œ) ์‚ฌ์ด์˜ C(Choice, ์„ ํƒ)์ž…๋‹ˆ๋‹ค. ์–ด๋–ป๊ฒŒ

๋ณด๊ณ , ์–ด๋–ค ๋ง์„ ๋“ฃ๋А๋ƒ๋กœ ์šฐ๋ฆฌ๋Š” ์„ ํƒ์„ ํ•˜๊ฒŒ ๋˜๊ณ , ๊ทธ ์„ ํƒ์ด ๋ฏธ๋ž˜๋ฅผ

๋งŒ๋“ค์–ด๊ฐ‘๋‹ˆ๋‹ค.

์‚ฌ๋žŒ๋“ค์€ ๊ธ์ •๋ณด๋‹ค ๋ถ€์ •์ ์ธ ๋ง์— ๋” ์‰ฝ๊ฒŒ ์˜ํ–ฅ์„ ๋ฐ›๋Š”๋‹ค๊ณ  ํ•ฉ๋‹ˆ๋‹ค. ์ด ๋ฅผโ€˜๋ถ€์ •์„ฑ ํŽธํ–ฅ (Negativity Bias)โ€™ ์ด๋ผ๊ณ  ํ•ฉ๋‹ˆ๋‹ค.

์นญ์ฐฌ ๋‹ค์„ฏ ๋งˆ๋””์™€ ๋น„ํŒ ํ•œ ๋งˆ๋””๋ฅผ ํ•˜๋ฉด, ์‚ฌ๋žŒ์€ ์นญ์ฐฌ์€ ๊ธˆ์„ธ ์žŠ๊ณ  ๋น„ํŒ ๋งŒ ์˜ค๋ž˜ ๊ธฐ์–ตํ•œ๋‹ค๊ณ  ํ•ฉ๋‹ˆ๋‹ค. ๊ทธ๊ฒƒ์ฒ˜๋Ÿผ ์ด์Šค๋ผ์—˜ ๋ฐฑ์„ฑ๋“ค์€ ๋ถ€์ •์ ์ธ ๋ณด

๊ณ ๋ฅผ ์„ ํƒํ–ˆ๊ณ , ๊ทธ ๊ฒฐ๊ณผ ๊ฐ€๋‚˜์•ˆ์„ ์ฃฝ์Œ์˜ ๋•…์œผ๋กœ ๊ทœ์ •ํ–ˆ๊ณ , ๊ทธ๊ฒƒ์ด ๊ทธ๋“ค ์˜ ๋ฏธ๋ž˜๊ฐ€ ๋˜์—ˆ์Šต๋‹ˆ๋‹ค.

๋ฏฟ์Œ์˜ ๋ˆˆ์„ ๊ฐ€์ง„ ์‚ฌ๋žŒ์€ ํ˜„์‹ค ๋„ˆ๋จธ์˜ ๊ฐ€๋Šฅ์„ฑ์„ ๋ด…๋‹ˆ๋‹ค. ๋ฏธ๊ตญ ์—ญ์‚ฌ ์† ์•Œ๋ž˜์Šค์นด ๋งค์ž…์ด ์ข‹์€ ์˜ˆ์ž…๋‹ˆ๋‹ค.

1867๋…„ ๋‹น์‹œ ์‚ฌ๋žŒ๋“ค์€ ์•Œ๋ž˜์Šค์นด๋ฅผ ์“ธ๋ชจ์—†๋Š” โ€˜์–ผ์Œ ์ƒ์ž (Ice Box)โ€™

๋ผ๊ณ  ํ–ˆ์Šต๋‹ˆ๋‹ค. ํ•˜์ง€๋งŒ ๊ตญ๋ฌด์žฅ๊ด€ ์ˆ˜์–ด๋“œ๋Š” โ€œ๋‚˜๋Š” ๋ˆˆ ๋ฎ์ธ ์•Œ๋ž˜์Šค์นด๊ฐ€

์•„๋‹ˆ๋ผ, ๊ทธ ์•ˆ์— ๊ฐ์ถ”์–ด์ง„ ๋ฌดํ•œํ•œ ๋ณด๊ณ ๋ฅผ ๋ณธ๋‹คโ€๊ณ  ํ–ˆ์Šต๋‹ˆ๋‹ค.

์‹œ๊ฐ„์ด ์ง€๋‚˜ ์•Œ๋ž˜์Šค์นด๋Š” ๊ธˆ๊ณผ ์„์œ , ํ’๋ถ€ํ•œ ์ž์›, ๊ตฐ์‚ฌ์  ๊ฐ€์น˜, ๊ด€๊ด‘ ์ˆ˜

์ž…๊นŒ์ง€ ๋ฏธ๊ตญ์˜ ์ค‘์š”ํ•œ ์ž์‚ฐ์ด ๋˜์—ˆ์Šต๋‹ˆ๋‹ค. ๋ณด๋Š” ๋ˆˆ์ด ๋‹ฌ๋ž๋˜ ํ•œ ์‚ฌ๋žŒ์˜ ๊ด€์ ์ด ๋ฏธ๊ตญ์˜ ๋ฏธ๋ž˜๋ฅผ ๋ฐ”๊พผ ๊ฒƒ์ž…๋‹ˆ๋‹ค.

์ง„๋ฆฌ๋Š” ๋‹ค์ˆ˜๊ฐ€ ๋™์˜๋กœ ๋งŒ๋“ค์–ด์ง€์ง€ ์•Š์Šต๋‹ˆ๋‹ค. ์นจํŒฌ์ง€์™€ ์ธ๊ฐ„์ด 98.6%

์œ ์‚ฌํ•˜๊ณ  1.4%๊ฐ€ ๋‹ค๋ฅด๋‹ค๊ณ  ํ•ฉ๋‹ˆ๋‹ค.

ํ™•๋ฅ ์ ์œผ๋กœ ์œ ์‚ฌํ•˜๊ธฐ์— ์ธ๊ฐ„๊ณผ ์›์ˆญ์ด๊ฐ€ ๊ฐ™๋‹ค๊ณ  ํ•  ์ˆ˜ ์—†์Šต๋‹ˆ๋‹ค. ์˜คํžˆ

๋ ค 1.4%์˜ ์ž‘์€ ์ฐจ์ด๊ฐ€ ์ธ๊ฐ„์˜ ๊ณ ์œ ์„ฑ์„ ๊ฒฐ์ •ํ•ฉ๋‹ˆ๋‹ค. ์ง„๋ฆฌ๋Š” ํ™•๋ฅ ์ด๋‚˜

๋‹ค์ˆ˜๊ฒฐ๋กœ ์ •ํ•ด์ง€์ง€ ์•Š์Šต๋‹ˆ๋‹ค.

์šฐ๋ฆฌ๋Š” ๋ฌด์—‡์„ ๋ณด๊ณ  ์žˆ๋‚˜์š”? ์–ด๋–ค ๋ง์„ ๋“ฃ๊ณ  ์žˆ์Šต๋‹ˆ๊นŒ? ๋‹จ์ˆœํžˆ ๋ˆˆ๊ณผ ๊ท€

๋กœ๋งŒ์ด ๋ณด๊ณ  ๋“ฃ์ง€ ์•Š์Šต๋‹ˆ๋‹ค.

์ž์‹ ์˜ ๊ด€์ ์œผ๋กœ ์‚ฌ์‹ค(fact)์„ ๋ณด๊ณ  ๋“ฃ์Šต๋‹ˆ๋‹ค. ์‚ฌ๋žŒ์ด ์–ด๋–ค ๊ด€์ ์„ ๊ฐ€์ง€

๋А๋ƒ๊ฐ€ ์ค‘์š”ํ•ฉ๋‹ˆ๋‹ค. ์‚ฌ์‹ค์ด ์•„๋‹ˆ๋ผ, ๋‚˜์˜ ๊ด€์ ์ด ๋‚˜์˜ ๋ฏธ๋ž˜๋ฅผ ๊ฒฐ์ •ํ•ฉ๋‹ˆ ๋‹ค. ์šฐ๋ฆฌ์˜ ๋งˆ์Œ์ด ์„ฑ๊ฒฝ์  ๊ด€์ , ๋ฏฟ์Œ์˜ ๊ด€์ ์œผ๋กœ ์ฑ„์›Œ์งˆ ๋•Œ, ๋ˆˆ์•ž์˜ ํ˜„

์‹ค์„ ๋„˜์–ด ํ•˜๋‚˜๋‹˜์˜ ์•ฝ์†์„ ๋ถ™์žก์„ ์ˆ˜ ์žˆ์Šต๋‹ˆ๋‹ค. ๊ทธ ๋ฏฟ์Œ์˜ ์„ ํƒ์ด ์šฐ

๋ฆฌ ์ธ์ƒ์˜ ๋ฏธ๋ž˜๋ฅผ ๊ฒฐ์ •ํ•˜๊ฒŒ ๋  ๊ฒƒ์ž…๋‹ˆ๋‹ค.

์ƒˆ๋ฒฝ ๊ธฐ๋„๋ฅผ ๋งˆ์นœ ํ›„ ์‚ถ์˜ ๊ต์ œ ์‹œ๊ฐ„์ด๋‹ค.

์žฅ๋กœ๋‹˜์ด ํ•œ์ž ๊ธ€์„ ์ ์–ด์„œ ๋ณด์—ฌ์ค€๋‹ค.

[๊ทผ์ž์—ด ์›์ž๋ž˜](่ฟ‘่€…ๆ‚… ้ ่€…ไพ†)๋ผ๋Š” ๊ธ€์ด๋‹ค.

๊ฐ€๊นŒ์ด ์žˆ๋Š” ์‚ฌ๋žŒ์„ ๊ธฐ์˜๊ฒŒ ํ•˜๋ฉด ๋ฉ€๋ฆฌ ์žˆ๋Š” ์‚ฌ๋žŒ์ด ์ฐพ์•„์˜จ๋‹ค๋Š” ๋œป์ด๋‹ค.

2500๋…„ ์ถ˜์ถ”์ „๊ตญ์‹œ๋Œ€ ์ดˆ๋‚˜๋ผ์˜ [์„ญ์ •]๋•Œ์˜ ์ผ์ด๋‹ค. ๋ฐฑ์„ฑ๋“ค์ด ๋‚ ๋งˆ๋‹ค ๊ตญ

๊ฒฝ์„ ๋„˜์–ด ๋‹ค๋ฅธ ๋‚˜๋ผ๋กœ ๋„๋ง์„ ํ•œ๋‹ค. ์ธ๊ตฌ๊ฐ€ ์ ์–ด์ง€๋ฉด ์„ธ์ˆ˜๊ฐ€ ์ค„์–ด๋“ค์–ด

๊ตญ์ •์šด์˜์— ์ง€์žฅ์„ ์ดˆ๋ž˜ํ•  ์ •๋„์ด๋‹ค.

[์„ญ์ •]์€ ๋‚˜๋ผ๊ฐ€ ๊ฑฑ์ •์ด ๋˜์–ด ๊ณต์ž์—๊ฒŒ ์ฐพ์•„๊ฐ€ ๋ฌป๊ฒŒ ๋œ๋‹ค.

[์„ ์ƒ๋‹˜ ๋‚ ๋งˆ๋‹ค ๋ฐฑ์„ฑ๋“ค์ด ๋„๋ง์„ ๊ฐ€๋‹ˆ ์ฒœ๋ฆฌ์žฅ์„ฑ์„ ์Œ“์•„์„œ ๋ง‰์„๊นŒ์š”?]

์ด๋•Œ ๊ณต์ž๊ฐ€ ๊ณฐ๊ณฐ์ด ์ƒ๊ฐํ•˜๊ณ  ๋‚˜์„œ ์ ์–ด์ค€ ๋ง์ด

[๊ทผ์ž์—ด ์›์ž๋ž˜]๋ผ๋Š” ๋ง์ด๋ผ๊ณ  ํ•˜๋„ค์š”.

์žฅ๋กœ๋‹˜๊ป˜์„œ ์ฃผ์ผ ์˜คํ›„ ์‹œ๊ฐ„์— ๊ธฐ๋„๋ง‰์‚ฌ์— ์„ฑ๋„๋“ค์ด ์•‰์•„์„œ ์‹์‚ฌํ•œ ํ›„์—

๋„ ์ž๋ฆฌ๋ฅผ ์ง€ํ‚ค๋ฉฐ ํ•จ๊ป˜ ์ฆ๊ฑฐ์›Œ ํ•˜๋ฉฐ ๊ธฐ๋ปํ•˜๋Š” ๋ชจ์Šต๋“ค์„ ๋ณผ ๋•Œ

[๊ทผ์ž์—ด](่ฟ‘่€…ๆ‚…)์ด ์ƒ๊ฐ์ด ๋‚ฌ๋‹ค๊ณ  ํ•œ๋‹ค.

๋„ˆ๋ฌด ๋ถ„์œ„๊ธฐ๊ฐ€ ์ข‹๋‹ค. ์˜์  ๋ถ„์œ„๊ธฐ์ด๋‹ค. ์ด๋Œ€๋กœ๋งŒ ๋‚˜๊ฐ€๋ฉด ์šฐ๋ฆฌ ๊ตํšŒ๊ฐ€

[์›์ž๋ž˜](้ ่€…ไพ†) ๋˜์ง€ ์•Š์„๊นŒ ํ•ด์„œ ์ ์—ˆ๋‹ค๊ณ  ํ•œ๋‹ค.

์–ด๋А ๋ถ„์ด ์šฐ๋ฆฌ ๊ตํšŒ์— ์™”๋‹ค. ๊ทธ๋ฆฌ๊ณ  ๋งํ•œ๋‹ค.

[๋‹ค๋“ค ์›ƒ๋Š” ์–ผ๊ตด๋“ค์ด ๋„ˆ๋ฌด ์•„๋ฆ„๋‹ต๋‹ค.]

[์นœ์ ˆํžˆ ๋Œ€ํ•ด ์ฃผ๋Š” ๊ฒƒ์ด ๋„ˆ๋ฌด ์ธ์ƒ์ ์ด๋‹ค.]

[์‚ฌ๋ž‘์ด ์ถฉ๋งŒํ•œ ๋ชจ์Šต ์†์—์„œ ์ฃผ์˜ ์ธ์žํ•˜์‹ฌ์„ ๋А๋ผ์—ˆ๋‹ค.]

[๋‚˜๋„ ๋„ˆ๋ฌด ํž˜์ด ๋“ค๊ณ  ํ™€๋กœ ์™ธ๋กœ์šด ์‚ถ์„ ์‚ด๊ณ  ์žˆ๋‹ค.]

[์—ฌ๋Ÿฌ๋ถ„์˜ ์‚ถ์˜ ๋ชจ์Šต์„ ๋ณด๋‹ˆ ๋งŽ์ด ํž˜์ด ๋˜๊ณ  ์œ„๋กœ๊ฐ€ ๋œ๋‹ค.]

[์ด์ œ๋ถ€ํ„ฐ ๋‚˜๋„ ํž๋ง๊ตํšŒ์˜ ์„ฑ๋„๊ฐ€ ๋˜๊ณ  ์‹ถ๋‹ค.]

๊ทธ๋ž˜ ๋งž๋Š” ๋ง์ด๋‹ค. ์šฐ๋ฆฌ๋ผ๋ฆฌ ํ™”๋ชฉํ•˜๋ฉด ๋œ๋‹ค. ์„œ๋กœ ์‚ฌ๋ž‘ํ•˜๋ฉด ๋œ๋‹ค.

์œ„๋กœ๊ฐ€ ๋˜๊ฒŒ ํ•˜๊ณ  ๊ฒฉ๋ ค๊ฐ€ ๋˜๊ฒŒ ํ•˜๋ฉด ๋œ๋‹ค. ํ•ญ์ƒ ๊ธฐ์จ์ด ๊ฐ€๋“ํ•˜๊ณ  ๋Š˜ ๊ฐ์‚ฌ

๊ฐ€ ํ๋ฅด๊ฒŒ ํ•˜๋ฉด ๋œ๋‹ค. ๊ทธ๋ƒฅ ์‚ฌ๋Š”๊ฑฐ๋‹ค. ๊ทธ๋Ÿฐ ์˜์„ฑ์œผ๋กœ ์ดˆ๋ง‰์ด๋‚˜ ๊ถ๊ถ์ด๋‚˜

๊ทธ๋ƒฅ ์ฃผ์˜ ๋‚˜๋ผ ์ด๋ฃจ๋ฉฐ ์‚ด๋ฉด ๋˜๋Š” ๊ฑฐ๋‹ค.

ํƒœ์‚ฐ์ด๋‚˜ ํ—˜๊ณก์ด๋‚˜ ๋น›๊ฐ€์šด๋ฐ์„œ ์‚ด๋ฉด ๋˜๋Š” ๊ฑฐ๋‹ค.

์—ฐ์ดˆ์— ๊ธฐ๋„์˜ ์ œ๋ชฉ์„ ํ•˜๋‚˜๋ฅผ ๋‚˜๋ˆ„์—ˆ๋‹ค.

์˜ฌํ•ด๋Š” ํ•œ์‚ฌ๋žŒ์ด ํ•œ์‚ฌ๋žŒ์„ ์ „๋„ํ•˜์ž๋Š” ๊ธฐ๋„์˜ ์ œ๋ชฉ์„ ์ด๋‹ค.

๊ทธ๋ž˜์„œ ์˜ฌํ•ด๋Š” ๋ฐฐ๊ฐ€์˜ ์‚ฌ์—ญ, ๋ถ€ํฅ์˜ ๋ถˆ๊ธธ์„ ์ผ์œผํ‚ค์ž๊ณ  ํ–ˆ๋‹ค.

๊ทธ๋ฆฌ๊ณ  ์ƒˆ๋ฒฝ๋งˆ๋‹ค ๋ฐ˜๋ณตํ•˜์—ฌ ์‰ฌ์ง€ ์•Š๊ณ  ๊ธฐ๋„๋ฅผ ํ–ˆ๋‹ค.

๋ฐฐ๊ฐ€๋˜๊ฒŒ ํ•˜์†Œ์„œ

๋ถ€ํฅ์˜ ๋ถˆ๊ธธ์„ ์ผ์–ด๋‚˜๊ฒŒ ํ•˜์†Œ์„œ

์ฒœํ•˜๋ณด๋‹ค ๊ท€ํ•œ ์˜ํ˜ผ์„ ์–ป๊ฒŒ ํ•˜์†Œ์„œ

์˜ˆ์ˆ˜ ์‚ฌ๋ž‘ ๋‚˜๋ˆ„๊ณ  ์˜ˆ์ˆ˜ ๋ณต์Œ ์ „ํ•˜๊ฒŒ ํ•˜์†Œ์„œ

์ฃผ์˜ ๋‚  ์ฃผ์˜ ์„ฑ์†Œ๊นŒ์ง€ ์ธ๋„ํ•˜๊ฒŒ ํ•˜์†Œ์„œ

๊ทธ๋ ‡๊ฒŒ ๊ธฐ๋„๋ฅผ ํ•˜์ง€๋งŒ ๋ง‰์ƒ ํ˜„์‹ค ๋งˆ๋‹น์—

๋А๋‚Œ์„ ๋ฐ›์•˜๋‹ค. ๊ทธ ์ด์œ ๋Š” โ‘  ์„ฑ๋„๋“ค์˜ ์ธ๊ฐ„๊ด€๊ณ„๊ฐ€ ๋Œ€๋ถ€๋ถ„ ๋‹จ์ ˆ๋œ ๊ด€๊ณ„ ๊ฐ€ ์ด๋‹ค. โ‘ก ํƒ€์ธ์ข… ์†์— ์‚ด๊ธฐ์— ํ•œ๊ตญ์ธ์˜ ์ „๋„๋Œ€์ƒ์ด ๊ฑฐ์˜ ์—†๋‹ค.

โ‘ข ๋˜ํ•œ ์–ธ์–ด์˜ ๋ฒฝ์— ๊ฐ‡ํ˜€์žˆ๋‹ค. โ‘ฃ ๋Œ€๋ถ€๋ถ„์˜ ํ•œ๊ตญ ์‚ฌ๋žŒ๋“ค์€ ๊ตํšŒ์— ์†Œ์†

๋˜์–ด ์žˆ๋‹ค. ๊ทธ๋ž˜์„œ ์ „๋„๋Š” ์•ˆ๋œ๋‹ค. ์ „๋„ ๋ชปํ•œ๋‹ค. ์–ด๋ ต๋‹ค๋Š” ์†Œ๋ฆฌ๊ฐ€ ๋‚˜์˜จ๋‹ค. ๊ทธ๋Ÿฌ๋‚˜ ํ™˜๊ฒฝ๊ณผ ์ƒํ™ฉ์„ ๋ฌธ์ œ ์‚ผ์ง€ ์•Š๊ณ  ๊ณ„์† ๊ธฐ๋„๋ฅผ ํ•œ๋‹ค.

๋ฐฐ๊ฐ€๊ฐ€ ๋˜๊ฒŒ ํ•˜์†Œ์„œ

๋ถ€ํฅ์˜ ๋ถˆ๊ธธ์„ ์ผ์œผํ‚ค๊ฒŒ ํ•˜์†Œ์„œ

์˜ˆ์ˆ˜ ์‚ฌ๋ž‘ ๋‚˜๋ˆ„๊ณ  ์˜ˆ์ˆ˜ ๋ณต์Œ ์„ ํฌํ•˜๊ฒŒ ํ•˜์†Œ์„œ

์ฃผ์˜ ๋‚  ์ฃผ์˜ ์„ฑ์†Œ๊นŒ์ง€ ์ธ๋„ํ•˜๊ฒŒ ํ•˜์†Œ์„œ

๋ฌด๋Œ“๋ฐฉ์˜ ๊ธฐ๋„์ด๋‹ค. ๋ŒํŒŒ์˜ ๊ธฐ๋„์ด๋‹ค. ๊ทธ๋Ÿฌ๋˜ ์–ด๋А ๋‚  ์–ด๋–ค ์†Œ์‹์„ ๋“ค์—ˆ

๋‹ค. ์ฐธ ์ข‹์€ ๊ตํšŒ์ด๋‹ค. ๋ฌผ๋ก  ๋ชฉ์‚ฌ๋‹˜๋„ ์ข‹์œผ์‹  ๋ถ„์ด๋‹ค. ๊ทธ๋Ÿฐ๋ฐ ์–ผ๋งˆ์ „์— ๋ชฉ

์‚ฌ๋‹˜์ด ๊ตํšŒ๋ฅผ ์‚ฌ์ž„ํ•œ๋‹ค๋Š” ์†Œ์‹์ด๋‹ค. ๋œป๋ฐ–์˜ ์†Œ์‹์ด๋‹ค. ๊ทธ๋ฆฌ๊ณ  ์–ผ๋งˆ๊ฐ€ ์ง€ ๋‚ฌ๋‹ค. ๊ทธ๋ถ„๋“ค์ด ์šฐ๋ฆฌ ๊ตํšŒ๋ฅผ ์˜ค๊ฒ ๋‹ค๋Š” ์†Œ์‹์„ ๋“ค์—ˆ๋‹ค. ๊ทธ๋ฆฌ๊ณ  ๋ฐ”๋กœ ์–ด๊ทธ์ œ ๋ชฉ์‚ฌ๋‹˜๊ณผ ๋ช‡๋ถ„์˜ ์„ฑ๋„๋‹˜์„ ๋งŒ๋‚ฌ๋‹ค. ์•Œ๊ณ  ๋ณด๋‹ˆ ๋ชฉ์‚ฌ๋‹˜์€ ํ•˜๋‚˜๋‹˜์˜ ๋ถ€๋ฅด์‹ฌ

์˜ ์‚ฌ๋ช…์ด ๋ฐ›์€ ๋ถ„์ด๋‹ค. ์•„๋‹ˆ ๊ฐ€๋ฉด ์•„๋‹ˆ ๋  ๋งŒํผ์˜ ๋ถ€๋ฅด์‹ฌ์˜ ์†Œ๋ช…์ด๋‹ค. ๊ทธ

๋ž˜์„œ ๋ชฉ์‚ฌ๋‹˜์€ ์„ ๊ต์ง€๋กœ ๊ฐ€์•ผ๋งŒ ํ•œ๋‹ค.

์—ฌ๊ธฐ ๋‚จ์•„ ์žˆ๋Š” ์„ฑ๋„๋‹˜๋“ค์€ ์–ด๋–ป๊ฒŒ ํ•˜๋‚˜์š”? ํ•˜๋‚˜๋‹˜๊ป˜ ๊ตฌํ–ˆ๋‹ค๊ณ  ํ•œ๋‹ค.

๊ทธ๋ฆฌ๊ณ  ๋งˆ์นจ๋‚ด ์šฐ๋ฆฌ ๊ตํšŒ๋กœ ์˜ค์‹œ๊ธฐ๋กœ ํ–ˆ๋‹ค.

๋‚œ ์ง€๊ธˆ๋„ ๋งค์ผ ์•„์นจ๋งˆ๋‹ค ๊ธฐ๋„๋ฅผ ํ•œ๋‹ค.

์ „๋„ํ•˜๊ฒŒ ํ•˜์†Œ์„œ

๋ฐฐ๊ฐ€๊ฐ€ ๋˜๊ฒŒ ํ•˜์†Œ์„œ

์˜ˆ์ˆ˜ ์‚ฌ๋ž‘ ๋‚˜๋ˆ„๊ณ  ์˜ˆ์ˆ˜ ๋ณต์Œ ์„ ํฌํ•˜๊ฒŒ ํ•˜์†Œ์„œ

์„ฑ๊ฒฝ์€ ๋ณด๋ฉด [์—๋”์—์„œ ๋ฌผ์ด ์†Ÿ๊ฒ ๊ณ โ€ฆโ€ฆ.](์™•ํ•˜3:20)

์ „ํ˜€ ๋œป๋ฐ–์˜ ๊ณณ์—์„œ ๋ฌผ์ด ์†Ÿ์•„์˜จ๋‹ค. ์ „ํ˜€ ์—‰๋šฑํ•œ ๊ณณ์—์„œ๋ถ€ํ„ฐ ๋ฌผ์ด ์Šค๋ฉฐ

๋‚˜์˜จ๋‹ค. ํ•˜๋‚˜๋‹˜์€ ์ „ํ˜€ ์—‰๋šฑํ•œ ๋ฐ์„œ ์‘๋‹ต์„ ํ•˜๊ณ  ๊ณ„์‹  ๊ฒƒ์ด๋‹ค.

์„ฑ๊ฒฝ ๋ง์”€์ด ํ•˜๋‚˜ ์ƒ๊ฐ์ด ๋‚œ๋‹ค.

[์—ฌํ˜ธ์™€์˜ ๋ง์”€์— ๋‚ด ์ƒ๊ฐ์€ ๋„ˆํฌ ์ƒ๊ฐ๊ณผ ๋‹ค๋ฅด๋ฉฐ ๋‚ด ๊ธธ์€ ๋„ˆํฌ ๊ธธ๊ณผ

๋‹ฌ๋ผ์„œ ํ•˜๋Š˜์ด ๋•…๋ณด๋‹ค ๋†’์Œ๊ฐ™์ด ๋‚ด ๊ธธ์€ ๋„ˆํฌ ๊ธธ๋ณด๋‹ค ๋†’์œผ๋ฉฐ ๋‚ด ์ƒ๊ฐ

์€ ๋„ˆํฌ ์ƒ๊ฐ๋ณด๋‹ค ๋†’์œผ๋‹ˆ๋ผ](์‚ฌ55:8)

ํ•˜๋‚˜๋‹˜์€ ํ•˜๋‚˜๋‹˜์˜ ๋ฐฉ๋ฒ•์œผ๋กœ ์‘๋‹ตํ•˜์‹œ๋ฉฐ ์—ญ์‚ฌํ•˜์‹ ๋‹ค. ๋‹ค๋งŒ ๋•…์—์„œ ์šฐ๋ฆฌ

๊ฐ€ ํ•ด์•ผ ํ•  ์ผ์ด ์žˆ๋‹ค. ๋ฐ”๋กœ [๊ทผ์ž์—ด ์›์ž๋ž˜](่ฟ‘่€…ๆ‚… ้ ่€…ไพ†)๋ผ๋Š” ๊ธ€์ด๋‹ค.

๊ฐ€๊นŒ์ด ์žˆ๋Š” ์‚ฌ๋žŒ์„ ๊ธฐ์˜๊ฒŒ ํ•˜๋ฉด ๋ฉ€๋ฆฌ ์žˆ๋Š” ์‚ฌ๋žŒ์ด ์ฐพ์•„์˜จ๋‹ค.

์šฐ๋ฆฌ๋ผ๋ฆฌ ํ™”๋ชฉํ•˜๋ฉด ๋œ๋‹ค. ์„œ๋กœ ์‚ฌ๋ž‘ํ•˜๋ฉด ๋œ๋‹ค. ์œ„๋กœ๊ฐ€ ๋˜๊ฒŒ ํ•˜๊ณ  ๊ฒฉ๋ ค๊ฐ€

๋˜๊ฒŒ ํ•˜๋ฉด ๋œ๋‹ค. ํ•ญ์ƒ ๊ธฐ์จ์ด ๊ฐ€๋“ํ•˜๊ณ  ๋Š˜ ๊ฐ์‚ฌ๊ฐ€ ํ๋ฅด๊ฒŒ ํ•˜๋ฉด ๋œ๋‹ค.

์˜์  ๋ถ„์œ„๊ธฐ๋ฅผ ๋งŒ๋“ค๋ฉฐ ๊ทธ๋ƒฅ ์‚ฌ๋Š”๊ฑฐ๋‹ค. ๊ทธ๋Ÿฐ ์˜์„ฑ์œผ๋กœ ์ดˆ๋ง‰์ด๋‚˜ ๊ถ๊ถ์ด๋‚˜

๊ทธ๋ƒฅ ์ฃผ์˜ ๋‚˜๋ผ ๋ˆ„๋ฆฌ๋ฉฐ ์‚ด๋ฉด ๋˜๋Š” ๊ฑฐ๋‹ค.

ํƒœ์‚ฐ์ด๊ณ  ํ—˜๊ณก์ผ์ง€๋ผ๋„ ๊ทธ๋ƒฅ ๋น› ๊ฐ€์šด๋ฐ ์‚ด๋ฉด ๋˜๋Š” ๊ฑฐ๋‹ค.

๊ทผ์ž์—ด๋กœ ์‚ด๋ฉด ๋˜๋Š” ๊ฑฐ๋‹ค. ๊ทธ๋ ค๋ฉด ์›์ž๋ž˜๊ฐ€ ๋œ๋‹ค. ๊ทธ๋ฆฌ๊ณ  ๊ทธ๋ƒฅ ์—ฌ์ „ํžˆ ๊ธฐ

๋„ํ•˜์ž๋Š” ๊ฑฐ๋‹ค. ๋ŒํŒŒ์˜ ๊ธฐ๋„ ํ•˜์ž๋Š” ๊ฒƒ์ด๋‹ค. ๊ธฐ๋„๋Š” ์šฐ๋ฆฌ์˜ ๋ชซ์ด๊ณ 

์‘๋‹ต์€ ํ•˜๋‚˜๋‹˜์˜ ๋ชซ์ด๋‹ค. ์•„๋ฉ˜์ด์ง€์š”? ์•„๋ฉ˜์ž…๋‹ˆ๋‹ค.

์„ค๋ ํƒ•

๋ผˆ๋ฅผ ํ‘น ๊ณผ์„œ

๋ฝ€์–—๊ฒŒ ์šฐ๋ ค๋‚ธ

๋ผˆ ๊ตญ๋ฌผ์„

์šฐ๋ฆฌ๋Š”

์ง„๊ตญ์ด๋ผ ํ•œ๋‹ค

๊ฐ‘์ž๊ธฐ ๋œจ๊ฑฐ์› ๋‹ค

์ฐจ๊ฐ‘๊ฒŒ ์‹์–ด์ง€๋Š”

๊ทธ๋”ด ๊ฒƒ ์—†์ด

๋ณ€ํ•จ์—†์ด

์€๊ทผํžˆ

์ง€ํŽด์˜ค๋Š”

๊ตฐ๋ถˆ ๊ฐ™์€ ์ •์„ฑ

3์ผ๊ฐ„

์‚ฌ๋ž‘์„ ๊ตฝ๋Š”๋‹ค

๋งˆ์Œ์„ ๊ตฝ๋Š”๋‹ค

์šฐ๋Ÿฌ๋‚˜๋Š” ๋ฝ€์–—๊ณ 

ํ•˜์–€ ์ง„ํ•œ ๊ตญ๋ฌผ

๋ฐฅ ๋ง์•„

ํˆฌ๋ฐ•ํ•œ ๊น๋‘๊ธฐ

ํ•œ ๊ฐœ ์–น์–ด

๋จน์„ ๋•Œ

์‚ฌ๋ž‘์„ ๋จน๋Š”๋‹ค

์ •์„ฑ์„ ๋จน๋Š”๋‹ค

์„ค๋ ํƒ• ํ•œ ๊ทธ๋ฆ‡์—

์†Œํƒˆํ•œ ์šฐ๋ฆฌ๋„ค ์‚ถ

์–ด์ฐŒ๋‚˜ ๊ตฌ์ˆ˜ํ•œ์ง€

๋งˆ์Œ์„ ๋А๋‚€๋‹ค

๋ฐฑ ๋™ ํ 

[ ์‹œ์ž‘ (่ฉฉไฝœ) ๋…ธํŠธ ]

๊ทธ ๋œฐ ์•ˆ์—๋Š” ์•„์ง๋„ ๊บผ์ง€์ง€ ์•Š๋Š”

์žฅ์ž‘๋ถˆ์ด ์€๊ทผํžˆ ํƒ€์˜ค๋ฅด๊ณ  ์žˆ๊ณ 

๋ฝ€์–—๊ฒŒ ํ•˜์–€ ์ง„๊ตญ์ด ๋œ ๋ผˆ ๊ตญ๋ฌผ์ด ์‹ํƒ์— ์˜ค๋ฅธ๋‹ค.

๊ทธ๋ฆฌ๊ณ  ํ•œ๋งˆ๋”” ํ•˜๋Š” ์†Œ๋ฆฌ์— ๋งˆ์Œ์ด ์ง•- ํ–ˆ๋‹ค. [๋ชฉ์‚ฌ๋‹˜!

์šฐ๋ฆฌ ์„ฑ๋„๋‹˜ ๋Œ€์ ‘ํ•˜๋ ค๊ณ  ์ด๊ฒƒ 3์ผ๊ฐ„์„ ๋‚ด๋‚ด ๊ตฌ์šด ๊ฒƒ์ด์—์š”] ๋‚œ ๊ทธ๋‚  ์„ค๋ ํƒ•์„ ๋จน์€ ๊ฒƒ์ด ์•„๋‹ˆ๋ผ ๊ทธ ์ •์„ฑ์„ ๋จน๊ณ  ์‚ฌ๋ž‘์„ ๋จน์€ ๊ฒƒ

-ํ’€(POOL) ์ฒญ์†Œ๊ถŒ ๋งค๋งค/๋งค์ž… ํ•˜์‹ค ๋ถ„์„ ์ฐพ์Šต ๋‹ˆ๋‹ค.: ๋ฐธ๋ฆฌ 45๊ฐœ(6๋ฐฐ) 20๊ฐœ(5๋ฐฐ), ์ˆ˜์˜์žฅ ๊นจ๋—ํžˆ ๊ด€๋ฆฌ ํ•ฉ๋‹ˆ๋‹ค. SHALOM POOL SERVICE : 818-606-3551

-๊ณ ๊ธ‰ ์–‘์žฅ ์–‘๋ณต ์˜ท์ˆ˜์„  ํ•˜์‹ค๋ถ„: ๋”ฐ์šฐ์ „์˜ฅ์Šค ์ง€์—ญ, ์œ ๊ฒฝํ—˜์ž ์š”ํ•จ Mrs๋ฐ• (805) 279-0590

-์ฒญ์†Œ์ผ์ž๋ฆฌ ๊ตฌํ•จ : 10๋…„ ๊ฒฝํ—˜ (213) 800-6033

-์„œ๋ฒ„ ๊ตฌํ•จ: Kopan Sushi & Ramen Northridge, CSUN ์ธ๊ทผ ์ผ์‹๋ผ๋ฉ˜์ง‘, ๋ฐธ๋ฆฌ ์ง€์—ญ์— ์žˆ๋Š” ๋…ธ์Šค๋ฆฌ์ง€๋ชฐ ์•ˆ, ํ•™์ƒ ํŒŒํŠธํƒ€์ž„๋„ ํ™˜์˜. ๋ฌธ์ž๋กœ ๊ฐ„๋‹จํ•œ ์†Œ๊ฐœ๊ฐ™์ด ๋ถ€ํƒ, $17.28/hour + tip, (213) 653-3948

-์ง์›๊ตฌํ•จ: ์˜ฅ์Šค๋‚˜๋“œ ์ง€์—ญ, ์ฃผ๋ฐฉ, ํ—ฌํผ & ๋งค๋‹ˆ์ €, (213) 880-0656

-๊ตฌํ•ฉ๋‹ˆ๋‹ค: ๋งค๋‹ˆ์ €, ์ฃผ๋ฐฉ ํ—ฌํผ, ํ—ฌํผ, ์ƒˆ๋กœ ์˜คํ”ˆํ•˜๋Š” ์˜ฅ์Šค ๋‚˜๋“œ BBQ ์น˜ํ‚จ, ์ด๋ฉ”์ผ: bbqchickenoxnard@gmail.com or text: (213) 880-0656

-ํ…”๋Ÿฌ ๊ฒฝํ—˜์žˆ๋Š”๋ถ„ ์ฐพ์Šต๋‹ˆ๋‹ค: ํ•œ๋ฏธ์€ํ–‰ ๋…ธ์Šค๋ฆฌ์ง€ ์ง€์  ์ง์›๋ชจ์ง‘, ์ž์„ธํ•œ ๋‚ด์šฉ์€ Hanmi.com ์— ์ฑ„์šฉ๊ณต๊ณ  ๋ณด์‹œ๋ฉด ๋ฉ๋‹ˆ๋‹ค. (818) 709-3312, ์ด๋ฉ”์ผ Jessica.hwang@Hanmi. com

-ํŽ˜์ŠคํŠธ ์ฝ˜ํŠธ๋กคํ•˜์‹ค ๋ถ„: ์—˜์—์ด ๋˜๋Š” ์˜ค๋ Œ์ง€์นด์šดํ‹ฐ ์ง€ ์—ญ ๋…๋ฆฝํ•ด์„œ ํŽ˜์ŠคํŠธ ์ฝ˜ํŠธ๋กค ํ•˜์‹ค๋ถ„์„ ๊ตฌํ•ฉ๋‹ˆ๋‹ค. ํŽ˜์ŠคํŠธ ์ฝ˜ ํŠธ๋กค ๋ผ์ด์„ผ์Šค ์†Œ์ง€์ž, Pay๋Š” $25-$35/hr (818) 886-7378 -์„œ์šธํ•ด์žฅ๊ตญ ์นด์šดํ„ฐ์—์„œ ์ผํ•˜์‹ค๋ถ„: ๋ฐธ๋ฆฌ ๊ฐค๋Ÿฌ๋ฆฌ์•„

๋งˆ์ผ“ ๋ชฐ๋‚ด, (818) 429-9448

-์›จ์ด์ธ„๋ ˆ์Šค ๊ตฌํ•จ : ๋ฐธ๋ฆฌ ์†ก๋ฆผ์žฅ (818) 304-4362

-๊ฐ€์‚ฌ ๋„์›€์ด ๊ตฌํ•จ : ๋ฉ”์„ธ์ง€ ๋‚จ๊ธฐ์„ธ์š” (818) 809-8120

-๋ฏธ์šฉ์‚ฌ, ๋ฏธ์šฉ ํ—ฌํผ ๊ตฌํ•จ : ๋ฏธ์šฉ์‹ค์—์„œ ๊ธฐ์ˆ  ๋ฐฐ์šฐ๋ฉด ์„œ "ํ—ฌํผ"ํ•ด์ฃผ์‹ค ๋ถ„ ๊ตฌํ•ฉ๋‹ˆ๋‹ค. ๊ทธ๋ฆฌ๊ณ  ๋ฏธ์šฉ์‚ฌ๋„ ๊ตฌํ•จ (818) 263-0216

-๊ตฌ์ธ: ๋ฐด๋‚˜์ด์Šค ํ•œ์šฐ๊ฐˆ๋น„์—์„œ ์ผํ•˜์‹ค๋ถ„, ์›จ์ดํ„ฐ, ์›จ์ด์ถ”

๋ ˆ์Šค, (818) 758-9545

-์ฃผ๋ฐฉ ํ—ฌํผ ๊ตฌํ•จ: ํ…Œ๋ฆฌ์•ผ๋ผ & ์Šค์‹œ, (818) 341-8448, (818) 590-1977

-๋ฐด๋“œ ๊ณต์—ฐ์„ ์œ„ํ•œ ์—ฐ์ฃผ์ž ๊ตฌํ•จ: ๋‚จ,๋…€ ๋ณด์ปฌ, ํ‚ค๋ณด๋“œ, ๋“œ๋Ÿผ, ๊ฐ๊ฐ ๋ชจ์‹ฌ (213)256-7082

-๋ฏธ์šฉ์‹ค์—์„œ ์ผํ•˜์‹ค ๋ถ„ ๊ตฌํ•จ :

๋ฏธ์šฉ์‚ฌ, ์ปค๋ฏธ์…˜, ๋„ค์ผํ•˜์‹ค ๋ถ„ ๊ตฌํ•จ (818) 263-0216

-์˜คํ”ผ์Šค์—์„œ ์ผํ•˜์‹ค ๋ถ„: ์˜์–ด, ํ•œ๊ตญ์–ด ์ด์ค‘ ์–ธ์–ด ๊ตฌ์‚ฌ ํ•˜๊ณ  ์ปดํ“จํ„ฐ ์—…๋ฌด ์ž˜ ํ•˜์‹œ๋Š” ๋ถ„ ๊ตฌํ•ฉ๋‹ˆ๋‹ค. (213) 999-3635

-ํƒœ๊ถŒ๋„ ์‚ฌ๋ฒ” ๊ตฌํ•ฉ๋‹ˆ๋‹ค: DohaTKD@gmail.com

-๊ต์‚ฌ & ๋ณด์กฐ๊ต์‚ฌ ๊ตฌํ•จ: ์Šค๋ชฐ์›”๋“œ (818) 363-3684

-๊ด‘๊ณ  ๋งค๋‹ˆ์ € ๊ฒธ ๋ณ‘์›์žฅ ์–ด์‹œ์Šคํ„ดํŠธ: ์‹œ๋ฏธ ๋ฐธ๋ฆฌ์— ์žˆ๋Š” ๋™๋ฌผ ๋ณ‘์›, ์œ ๊ฒฝํ—˜์ž ์šฐ๋Œ€, Fluent in english, info@ rsvet.com

-ํ„ฐ๋งˆ์ดํŠธ ํšŒ์‚ฌ ์˜คํ”ผ์Šค์ง์› ๊ตฌํ•จ: ์˜์–ดํ•„์ˆ˜, ํ„ฐ๋งˆ ์ดํŠธ ํšŒ์‚ฌ๋‚˜ ์˜คํ”ผ์Šค์—์„œ ์ผํ•ด๋ณด์‹  ๊ฒฝํ—˜์ž, ํ•˜์ด๋“œ๋ ‰์Šค (818)355-2977

-๋ฐฉ ๋ ŒํŠธ: ๋งˆ์ผ“ 6๋ถ„, ์กฐ์šฉํ•œ ํ•˜์šฐ์Šค, Mason & DeSoto, ์—ฌ์ž๋ถ„ ์›ํ•จ, ์ข‹์€ ํŒŒํ‚น, $780/์›”, (213) 254-8179

-๋ฐฉ ๋ ŒํŠธ: ๊ทธ๋ผ๋‚˜๋‹ค ํž์Šค ์ง€์—ญ, ์ƒˆ๋กœ ๊ฑด์ถ•ํ•œ ์‹ ํ˜• ADU, ์ˆ˜๋„์„ธ, ์ „๊ธฐ์„ธ, ์„ธํƒ๊ธฐ, ๋ƒ‰์žฅ๊ณ , ๊ฐ€์Šค๋ ˆ์ธ์ง€, ์ธ๋•์…˜ ์ „๋ถ€ ๋‹ค ํฌํ•จ, $1,500/์›”, (213) 393-8359

-๋ฐฉ ๋ ŒํŠธ: ํฌํ„ฐ๋žœ์น˜(Rinaldi+Reseda ์‚ฐ์ชฝ), ์พŒ์ ํ•˜๊ณ  ์กฐ์šฉํ•œ ์ฃผํƒ๊ฐ€, CSUN, ๊ฐค๋Ÿฌ๋ฆฌ์•„ 5-10๋ถ„ ๊ฑฐ๋ฆฌ, ํŒŒํ‚น๊ฐ€๋Šฅ, ๊ฐ€๊ตฌ ์™„๋น„, No Smoking, No Pet, No Guest overnight. ์žฅ, ๋‹จ๊ธฐ ์ž…์ฃผํ™˜์˜, $1.000/month (Wifi+์œ ํ‹ธ๋ฆฌํ‹ฐ ํฌํ•จ), Mrs. Lee (213)272-5926(๋ฉ”์„ธ์ง€)

-ํฐ๋ฐฉ ๋ ŒํŠธ: ํ™”์žฅ์‹ค, ๋…๋ฆฝ๋œ ๊ณต๊ฐ„, ๊ฒŒ์ดํŠธ ๋”ฐ๋กœ, ๋ฒ ๋ž€๋‹ค, ์šฐํ‹ธ๋Ÿฌํ‹ฐ ํฌํ•จ, $1800, (818) 854-1114

-๋ฐฉ๋ ŒํŠธ : ๋งˆ์ผ“ 6๋ถ„ ๊ฑฐ๋ฆฌ(Mason+esoto), ํ•˜์šฐ์Šค ์กฐ์šฉ, ์—ฌ์ž๋ถ„ ํ™˜์˜, ๊ตฟ ํŒŒํ‚น ์›” $780, (213) 254-8179

-ํ•˜์šฐ์Šค ๋ ŒํŠธ: ๋‹จ์ธต์ง‘, ๋ฐฉ2 & ํ™”2, 1250sf, ๋ผ๊ตฌ๋‚˜ ์šฐ์ฆˆ 55์„ธ ์ด์ƒ ์ปค๋ฎค๋‹ˆํ‹ฐ, 36ํ™€ ๊ณจํ”„์žฅ, ์ˆ˜์˜์žฅ, ํ…Œ๋‹ˆ์Šค์ฝ”ํŠธ, ์–‘ ๊ถ, ์Šน๋งˆ์žฅ, 9์›”1์ผ๋ถ€ํ„ฐ ์ž…์ฃผ ๊ฐ€๋Šฅ, HOA ํฌํ•จ $3000/์›”, (818) 428-8985 (Text), -๊ฒŒ์ŠคํŠธ ํ•˜์šฐ์Šค : ๋ฐฉ1, ํ™”1, ์นจ๋Œ€, ์˜ท์žฅ, ๋ƒ‰์žฅ๊ณ , ์œ ํ‹ฐ๋ฆฌ ํ‹ฐ ํฌํ•จ, $800/์›”, (310) 595-4072

-ํฐ๋ฐฉ ๋ ŒํŠธ: ํฐ๋ฐฉ1 ํ™”์žฅ์‹ค1. ๋ฒ ๋ž€๋‹ค. ๊ฐ€๊ตฌ. ์นจ๋Œ€. ๋ƒ‰์žฅ ๊ณ . ์˜ท์žฅ. ์ธํ„ฐ๋„ท. ์บ๋…„์ปจ์ธ„๋ฆฌ. ์œ ํ‹ธ๋ฆฌํ‹ฐํฌํ•จ $1100, (213) 479-9435

-๊น€์น˜๋ƒ‰์žฅ๊ณ  ํŒ๋‹ˆ๋‹ค : ๊ฐ€๊ฒฉ $250, (818)818-9708

-๋ฐฉ๋ ŒํŠธ : 80๋Œ€ ๋ถ€๋ถ€๊ฐ€ ์‚ฌ๋Š” ํƒ€์šดํ•˜์šฐ์Šค, ๊ฐค๋Ÿฌ๋ฆฌ์•„๋งˆ์ผ“

๊ณผ CSUN ์ค‘๊ฐ„์— ์œ„์น˜, ๋ฐฉ1, ํ™”1, ์ƒค์›Œ1, ์ž ๋งŒ ์ฃผ๋ฌด์‹ค ์—ฌ

์ž๋ถ„ ํ™˜์˜, ์ฐจ๊ณ  ์—†์Œ, ์›” $850, ๋ฌธ์ž๋กœ(Text)๋งŒ ๋ฌธ์˜ 818825-1965

-๋ฐฉ๋ ŒํŠธ: ๊ทธ๋ผ๋‚˜๋‹คํž์Šค (๋ฐ๋ณธ์…”์™€ ๋ฐœ๋ณด์•„๊ทผ๋ฐฉ), CSUN

์—์„œ ๊ฐ€๊น๊ณ  ์ปฌ๋ฐ์ƒ‰์— ์œ„์น˜ํ•œ ์กฐ์šฉํ•œ ์ฃผํƒ๊ฐ€ ๋…๋ฐฉ. ์—ฌ๋Ÿฌ ํŽธ์˜ ์‹œ์„ค ๊ฐ€๊น๊ณ  ๋งˆ๋ฃจ ๋ฐ”๋‹ฅ, ๋งค์šฐ ๋ฐ๊ณ  ๊นจ๋—ํ•œ ๋ฐฉ. ์ฑ…์ƒ, ์นจ๋Œ€, ์ˆ˜๋‚ฉ์žฅ, CLOSET, ์ธํ„ฐ๋„ท, ์œ ํ‹ธ๋ฆฌํ‹ฐ, ์ •์ˆ˜๊ธฐ, ๋ƒ‰์žฅ ๊ณ , ์„ธํƒ๊ธฐ ๋“œ๋ผ์ด์–ด ์‚ฌ์šฉ, ์ง์žฅ ๋‚จ์„ฑ์ด๋‚˜ ๋‚จํ•™์ƒ ํ™˜์˜.

$770/์›”. (213) 500-4432 (ํ…์ŠคํŠธ๋‚˜ ๋ฉ”์‹œ์ง€)

-๋ฐฉ ๋ ŒํŠธ: ๋…ธ์Šค๋ฆฌ์ง€(zelzah&Devonshire) CSUN 2๋ถ„ ๊ฑฐ ๋ฆฌ, ๊ทธ๋ผ๋‚˜๋‹ค ํ•˜์ด์Šค์ฟจ ์•ž์ชฝ, ์œ ํ‹ธ๋ฆฌํ‹ฐ ํฌํ•จ, ์ž ๋งŒ ์ฃผ๋ฌด์‹ค ๋ถ„, $800/์›”, 213 500 8586 (๋ฌธ์ž์ฃผ์„ธ์š”, ์ŠคํŒธ ๋งŽ์•„์„œ ์ „ํ™” ์ž˜ ์•ˆ ๋ฐ›์•„์š”)

-ํ•˜์šฐ์Šค ๋ ŒํŠธ: Porter Ranch ๋‹จ์ง€์•ˆ์— ์ƒˆ์ง‘ $6,500/์›”, ๋ฐฉ4+ํ™”3+ loft+solar+tesla charger 3๋…„๋œ ์ƒˆ์ง‘, PRCS (TK- 8ํ•™๋…„) ์ข‹์€ ํ•™๊ตฐ ๋„๋ณด๋กœ ๊ฐ€๋Šฅ. 24์‹œ๊ฐ„ ๊ฐ€๋“œ ์ƒ์ฃผํ•˜ ๋Š” ์•ˆ์ „ํ•œ ๋‹จ์ง€, ๊ฐœ, ๊ณ ์–‘์ด ํ™˜์˜, ๋‹จ์ง€๋‚ด์— ์ˆ˜์˜์žฅ, ์ž๊พธ ์ง€, bbq ์™„๋น„. ์ฆ‰์‹œ ์ด์‚ฌ ๊ฐ€๋Šฅ. (818) 667-2877

์ปค๋ฎค๋‹ˆํ‹ฐ ์•ˆ๋‚ด

-๋ณผ๋ง ๊ด€์‹ฌ ์žˆ์œผ์‹  ๋ถ„: ๋ฐธ๋ฆฌ ํ•œ์ธ๋ณผ๋ง๋ชจ์ž„ Hanuri์—์„œ ํ•จ๊ป˜ํ•ด์š”! ์ดˆ๋ณด๋ถ€ํ„ฐ ๊ณ ์ˆ˜๊นŒ์ง€ ๋ˆ„๊ตฌ๋‚˜ ํ™˜์˜ํ•ฉ๋‹ˆ๋‹ค(๋ถ€๋ถ€, ์—ฐ ์ธ ํ™˜์˜), ์ฆ๊ฒ๊ฒŒ ์ŠคํŠธ๋ ˆ์Šค ๋‚ ๋ฆฌ๊ณ , ํ•จ๊ป˜ ์„ฑ์žฅํ•˜๋Š” ์šฐ๋ฆฌ! ๋งค ์ฃผ ์ˆ˜์š”์ผ, 8:30PM, Back Alley Bowling (9118 Balboa Blvd, Northridge, CA 91325) ์—์„œ ์ •๊ธฐ๋ชจ์ž„ ์ง„ํ–‰ ์ค‘์ž…๋‹ˆ๋‹ค. (818) 963-0831

๋ชจ์ž„: ๋งค์ฃผ ์ˆ˜, ํ†  6:40 am ํฌํ„ฐ๋žœ์น˜ ์ปค๋ฎค๋‹ˆํ‹ฐํŒ. ํ•œ ๋ฒˆ๋„ ์•ˆ ํ•ด๋ณธ ์‚ฌ๋žŒ์€ ์žˆ์–ด๋„ ํ•œ ๋ฒˆ๋งŒ ์นœ ์‚ฌ๋žŒ์€ ์—†๋‹ค๋Š” ์žฌ๋ฏธ์žˆ๋Š” ํ”ผํด๋ณผ ํ•จ๊ป˜ ํ•ด์š”. ๋‚จ๋…€๋…ธ์†Œ ํ™˜์˜ํ•ฉ๋‹ˆ๋‹ค. ๋ฌธ์˜ (213) 550-9059 ์กฐ์Šˆ์•„ ํ•œ

-ํ•˜์ดํ‚น ๋ชจ์ž„: ์‹œ๋ฏธ๋ฐธ๋ฆฌ ์™€ ํฌํ„ฐ๋žœ์น˜ ์ง€์—ญ์—์„œ ํ•˜์ด ํ‚น์„ ๋งค์ฃผ ํ† ์š”์ผ์— ํ•˜์‹ค ๋ถ„์€ ์—ฐ๋ฝ์ฃผ์„ธ์š”. ์ด๋ฉ”์ผ ์ฃผ์†Œ: T3479091532@GMAIL.COM

-์„น์†Œํฐ ๋ฐฐ์šฐ์‹ค๋ถ„ (858) 342-0978

-์‹ฑ๊ธ€ ๋Œ์‹ฑ ๋ชจ์ž„ (1963๋…„๋ถ€ํ„ฐ 1983๋…„๊นŒ์ง€) ๋งค์ฃผ ํ†  ์ผ์š”์ผ ๋ชจ์ž„์ด ์žˆ์Šต๋‹ˆ๋‹ค. ์šด๋™, ์—ฌํ–‰, ๊ทธ๋ฆฌ๊ณ  ํ•˜์ดํ‚น๋„ํ•˜๋ฉฐ ์ข‹์€ ์นœ๊ตฌ ์™€ ์ง๊ถ๋„ ์ฐพ์•„๋ด์š”. (310) 739-9234 (๋ฌธ์ž ๋จผ์ € ๋ณด๋‚ด์ฃผ์„ธ์š”)

-์‚ฌ๊ต์ถค ๋™ํ˜ธํšŒ: (213) 915-9970

-์‚ฐํƒ€ํด๋ผ๋ฆฌํƒ€ ํ…Œ๋‹ˆ์Šค ๋™ํ˜ธํšŒ ํšŒ์› ๋ชจ์ง‘: ์‚ฐํƒ€ํด๋ผ ๋ฆฌํƒ€ ์ง€์—ญ์—์„œ ํ…Œ๋‹ˆ์Šค๋ฅผ ์ฆ๊ธฐ์‹ค ๋ถ„. Myung (Michael) Cho, michael.myung.cho@gmail.com

-๋…ธ๋ž˜๊ต์‹ค : ๋…ธ๋ž˜๋ฅผ ๋ฐฐ์šฐ๊ณ . ์ฆ๊ฒ๊ฒŒ ๋…ธ๋ž˜ํ•˜๊ณ  ์‹ถ์€์‹ ๋ถ„ ๋ˆ„๊ตฌ ๋‚˜ ํ™˜์˜, ์‹ ๊ณก์ด๋‚˜ ๋ฐฐ์šฐ๊ณ  ์‹ถ์€ ๊ณก ๋˜๋Š” ๋ถ€๋ฅด๊ณ  ์‹ถ์€ ๊ณก์„ ์™„ ์ „ํžˆ ์ž๊ธฐ ๋…ธ๋ž˜๋กœ ์†Œํ™” ์‹œ์ผœ ๋“œ๋ฆฝ๋‹ˆ๋‹ค. 213-216-0006, 818-727-1000

-์‹ฑ๊ธ€ ๋ชจ์ž„: (818) 770-4298

-๋‚š์‹œ ๋™ํ˜ธํšŒ: ๋‚š์‹œ๋ฅผ ์ฆ๊ธฐ๊ณ  ์‹ถ์€ ๋ถ„ ๋ˆ„๊ตฌ๋‚˜ ํ™˜์˜, ๋ฏผ ๋ฌผ๋‚š์‹œ, ๋ฐฐํƒ€๊ณ  ๋„๋ฏธ๋‚š์‹œ ๋“ฑ ํ•จ๊ป˜ ์ฆ๊ฒ๊ฒŒ ๋‚š์‹œ๋ฅผ ์ฆ๊ธฐ์„ธ์š”, (818) 831-9658 Mr. Lee

์ผ ์ €๋… 7:30~10:30, (714) 824-1006 -๋ฌด๋ฃŒ ๊ธฐํƒ€๊ต์‹ค: ๋žญ์บ์Šคํ„ฐ ํ•œ์ธ์žฅ๋กœ๊ตํšŒ์—์„œ ์ดˆ๋ณด์ž๋ฅผ ์œ„ ํ•œ ๊ธฐํƒ€๊ต์‹ค์„ ์˜คํ”ˆ, ๋Œ€์ƒ: ์„ฑ์ธ (661) 220-0848(ํ™ฉ๋Œ€์„  ๋ชฉ์‚ฌ) -๋ชฉ์š”์ผ์— ๊ณจํ”„์น˜์‹ค๋ถ„ ๋ชจ์ง‘์„ ํ•ฉ๋‹ˆ๋‹ค : (626) 993-5288 -ํ™”์š”๊ณจํ”„์‚ฌ๋ž‘ ํšŒ์›๋ชจ์ง‘ : ๊ณจํ”„์‚ฌ๋ž‘ํ•˜์‹œ๋Š” ๋ถ„๋“ค ์ดˆ๋Œ€ํ•ฉ ๋‹ˆ๋‹ค. Chong (626) 993-5288 (LA-Valley ์ง€์—ญ) -ํ…Œ๋‹ˆ์Šค ๋™ํ˜ธ์ธ๋ชจ์ง‘: ๋ฐธ๋ฆฌ ํ…Œ๋‹ˆ์Šค ํด๋Ÿฝ์—์„œ USTA 4.0 ์ด์ƒ ๋˜์‹œ๋Š” ํ…Œ๋‹ˆ์Šค ๋™ํ˜ธ์ธ ๋ชจ์ง‘ํ•ฉ๋‹ˆ๋‹ค. ๋ฌธ์˜) ํ•„๋ฆฝ ์ • (818) 456-7737

-์‚ฌ์ง„๊ฐ•์ขŒ ๋ฐ ์‚ฌ์ง„ ๋™ํ˜ธํšŒ :๋ฐธ๋ฆฌ์ง€์—ญ(213) 793-5500

-๋ฐธ๋ฆฌ 7080 ์Œ์•…๋™ํ˜ธํšŒ ํšŒ์›๋ชจ์ง‘ : ๊ธฐํƒ€์™€ ๋…ธ๋ž˜์— ์ทจ๋ฏธ ์žˆ์œผ์‹  ๋ถ„ ํ™˜์˜, ๋‹ค๋ฆ„ ์•…๊ธฐ๋„ ์ข‹์Œ, ๋ชจ์ž„์žฅ์†Œ: ๋‚˜์„ฑ ๋ถ๋ถ€ ๊ตํšŒ, ์‹œ๊ฐ„: ๋งค์ฃผ ํ† ์š”์ผ 10์‹œ๋ฐ˜-12์‹œ๋ฐ˜, (213) 500-3689 -๊ณจํ”„์นœ์„ ๋ชจ์ž„ : Chon (323) 369-6018

-๋ฐ”๋‘‘์ฆ๊ธฐ์‹ค ๋ถ„: ๋˜๋Š” ๋ฐฐ์šฐ์‹ค ๋ถ„ ํ™˜์˜, ์ ์‹ฌ์‹์‚ฌ ์ œ๊ณต (818) 746-6088 -๋™ํ˜ธํšŒ์› ๋ชจ์ง‘: ๋œจ๊ฐœ์งˆ, ํ€ผํŠธ, ๊ทธ๋ฆผ, ๊ฝƒ๊ฝ‚์ด, ํ•˜์ดํ‚น, ํ•ฉ ์ฐฝ, ์ƒํ™œ์˜์–ด ๋“ฑ ๋‹ค์–‘ํ•œ ํด๋ž˜์Šค,๋ฌธ์˜: Grace Seo (661) 3739647, graceandboys@yahoo.com - ๋ฐธ๋ฆฌ ํ…Œ๋‹ˆ์Šค ๋™ํ˜ธํšŒ ๋ชจ์ž„: ๋งค์ฃผ ํ† , ์ผ ์˜ค์ „ 7์‹œ-9์‹œ ๋ฐ˜ ๊นŒ์ง€, ์‹ค๋งˆ El Cariso Reginal Park ํ…Œ๋‹ˆ์Šค์ฝ”ํŠธ, ์ค‘๊ธ‰์ด์ƒ ์‹ค๋ ฅ์œผ๋กœ ์ฃผ๋ง ์•„์นจ ์šด๋™ํ•˜์‹ค๋ถ„ (818) 321-9561 Chan Shin

-์ƒˆ ์กฑ๊ตฌ ํšŒ์› ๋ชจ์ง‘: ์ง€์—ญ : ๋ฐธ๋ฆฌ, ๋ผํฌ๋ผ์„ผํƒ€, ์„ ๋žœ๋“œ, ๋ฒ„๋ฑ…ํฌ, ๊ธ€๋ Œ๋ฐ์ผ, ์žฅ์†Œ : ANC์˜จ๋ˆ„๋ฆฌ ๊ตํšŒ ์ฒด์œก๊ด€, ๋งค์ฃผ ์›”์š” valleymagazine@gmail.com

818-439-9289

Turn static files into dynamic content formats.

Createย aย flipbook
Issuu converts static files into: digital portfolios, online yearbooks, online catalogs, digital photo albums and more. Sign up and create your flipbook.
w-VM_Sep_p1_p57 by glendalekorean - Issuu