밸리매거진 9월호

Page 1

CONTENTS

*밸리매거진에서 제작한 모든 광고 디자인은 밸리매거진의 Written Permission없이 어떠한 용도로도 다른곳에 무단으로 사용될 수 없습니다.

*밸리매거진에 게재된 모든 광고는 광고주의 요청대로 게재한 것이므로 내용의 진위 여부에 대해 본사가 책임지지 않습니다.

*밸리매거진은 문제성있는 광고나 기사 게재를 거부할 수 있습니다.

Northern LA Media, Inc.

Valley Magazine

P.O. BOX 372382, Reseda, CA 91337

valleymagazine@gmail.com www.valleymagazine.us

20
22 뉴스 24 커뮤니티 뉴스 26 Law 28 Pet Health 30 비즈니스 뉴스 32 Health 42 Santa Clarita 44 경제 48 부동산 52 핫 프라퍼티 리스팅 54 교육 56 Science 59 Life 62 종교 66 무료게시판
2023
202
Sepember
Issue

CONTENTS

- 함께 만드신 분들강경이 치과원장

반현정 로즈윈 동물병원 원장

백동흠 힐링교회 담임목사

샤론 윤 변호사

수잔 김 베스트부동산대표

아이두뷰티 원장

앨리스 신 아트오브헤어 원장

엔젤라 장 보험

오정택 우드맨 생명보험

윤 김 드림리얼티

윤미영 로즈몬트 치과원장

이상규 뉴스타부동산

이준우 밸리커뮤니티교회 담임목사

이천 새가나안 장로교회 담임목사

이하정 재정 설계사

이한주 보험

John Yang 옥스퍼드학원원장

조앤 홍 보험

지상문 독자

플랜트 레이디 Kyo

광고문의 : 818. 993. 6000 / valleymagazine@gmail.com

Publisher: Brian Hong

Editor in Chief: Eunice Hong

21
www.valleymagazine.us

환경 운동가들과 입법자들, 앨리소 캐년 가스 저장시설

확장하려는 계획 맹렬히 비난

선출직 공무원들과 환경단체들은 지난 8월15일 개빈

뉴섬 주지사에게 포터랜치 근처에서 논란이 되고 있

는 남가주 개스회사의 앨리소 캐년 지하가스 저장시

설의 용량을 늘리려는 계획을 지지하지 말 것을 촉

구했다.

새크라멘토에서 열린 캘리포니아 주 수자원 위원회

회의에서 수십 명의 포터랜치 주민, 정치인 및 환경

운동가들이 지하 가스저장소의 제한을 높이는 안에

반대하는 발언을 했다. 이 회의에서 수자원 위원회

는 헌팅턴비치, 롱비치 및 옥스퍼드에 있는 다른 세

곳의 논쟁이 있는 천연가스 저장소의 운영을 연장하

기로 했다. 포터랜치 그리고 샌퍼난도 밸리 서부 인

근 커뮤니티를 대표하는 필라 시아보 주하원의원은 “천연가스에 대한 의존도를 연장하고 과거 재해로

인한 건강 영향을 여전히 겪고 있는 지역사회 근처

의 지하 개스 저장고를 늘리려는 최근 제안은 우리

를 잘못된 방향으로 이끌고 있습니다.”라고 말했다

한편, 앨리소 캐년의 미래는 투표 대상이 아니었다.

그러나 환경 운동가들은 거의 100,000톤의 메탄가스

를 공기 중으로 방출하고 몇 달 동안 샌퍼난도 밸리

와 시미 밸리의 주민들을 이주하게 한 파괴적인 가

스 누출 장소가 된 포터 랜치 근처의 거대한 가스전

을 폐쇄할 것을 뉴섬 주지사에게 촉구했다.

앨리소 캐년의 운영을 감독하는 캘리포니아 공공시

설 위원회(CPCU)는 앨리소 캐년의 미래에 대해 투표

할 것으로 예상된다. 이 제안이 승인되면 지하 필드

의 확장 한도가 410억 입방 피트에서 686억 입방 피트

로 증가하게 되며, 이는 이 시설이 거의 100% 용량으 로 운영된다는 것을 의미한다. 앨리소 캐년의 지하

가스 보유량을 늘리자는 제안은 겨울 동안 천연 가

스와 전기 소비자들을 신뢰성과 경제적인 영향으로 부터 보호하기 위해 필요하다고 CPUC 관리자들이 최근 말했다.

LA 시의원, '은행 없는 그룹' 보호를

위해 현금 없는 사업금지 모색

헤더 허트 LA시의원은 은행 계좌가 없거나 신용 접

근이 거부될 수 있는 주민들에게 권한을 부여하기

위해 LA시에서 현금 없는 소매 사업을 금지하는 법

안을 제안했다. 허트 LA시의원은 성명에서 "현금 없

는 사업은 모든 사람들이 포괄적이고 접근할 수 없

는 우리 도시의 경제를 만듭니다."라고 말했다. "은행

이 없는 많은 그룹이 있습니다. 그들은 상품과 서비

스를 지불하기 위해 현금에 의존합니다."

"모두에게 안전하고 공정한 곳이 될 것을 약속한 도 시로서, 우리는 모든 시스템이 개개인의 공정성과 형평성을 만들어 낼 수 있도록 적극적으로 노력해야 합니다."라고 그녀가 덧붙였다. 허트 LA시의원의 동 의안은 LA시가 상품과 서비스를 구매하는 관행을 포함하여, 그것의 경제 발전에 주민들이 참여하도록

News 22

장려한다고 말한다. 그러나 그들이 "현금으로 상품

과 서비스를 지불할 수 없는 한" 소비자 거래에 참여

할 수 없도록 말하면서, 은행 계좌가 없거나 신용에

대한 접근이 거부된 수백만 명의 미국인들이 있다고

주장했다. 제도적으로 현금결제를 받지 않는 것은

저소득층 유색인종 커뮤니티, 신용카드나 직불카드

의 연령 자격을 충족하지 못하는 청년, 카드나 디지

털 결제 모드로 전환하지 않은 노인 등을 제외하는

것이라고 동의안은 밝혔다. 이 동의안은 LA 시의회

가 승인할 경우 시 검찰청에 로스앤젤레스에서 현금

없는 소매업을 금지하는 조례를 마련하여 제시해 줄

것을 요청할 것이다.

남가주의 실업률, 17개월 만에 최고치 기록

로스앤젤레스, 오렌지, 리버사이드 및 샌버나디노

카운티의 지난 7월 실업률이 5.0%로 나왔다. 마지막

으로 지역 실업률이 더 높았던 적은 2022년 2월이었

고 팬데믹 이전인 2018-19년에는 평균 4.2%였다.

고용 시장의 냉각은 계절적 영향과 할리우드 작가

및 배우들의 파업을 반영하며, 게다가 기록적인 높 은 인플레이션을 초래한 과열된 경제를 냉각시키기

위한 연방준비제도 이사회의 노력을 반영한다.

주고용 개발부(EDD)는 7월에 공식적으로 43만2,800

명이 실직한 것으로 집계했다. 이는 한 달 만에 3,100

명이 증가하고 1년 만에 5만2,100명이 증가한 숫자다. 2018-19년 팬데믹 전의 실업자 수는 평균 36만6,642명 으로 15% 감소했다. 7월 캘리포니아 남부의 노동력

은 874만 명으로, 실업자 수와 고용자 수를 합친 것으 로, 1년 만에 49,900명 증가했지만 2018-19년 평균에 비해 70,700명 감소했는데 이는 남가주지역 노동력

공급의 한 척도다. 부진한 인력 성장은 일부 회사가

여전히 빈자리를 채우는 데 어려움을 겪는 이유다.

한 달간의 변화로 순위를 매긴 남가주의 주요 비즈

니스 부문의 일자리 변화를 살펴보자.

사교육/보건: 146만 명의 근로자–한 달 만에 6,000

명이 증가하고 1년 만에 79,500명이 증가

건설: 42만2천명의 근로자–한 달 만에 5,500명이 증

가하고 1년 만에 6,600명이 증가

레저/접대: 108만 명의 근로자-한 달 만에 4,800명

이 증가하고 1년 만에 44,000명이 증가

제조업: 44만5천명의 근로자–한 달 만에 2,400명이

증가했지만 1년 만에 2,700명이 감소

소매업: 64만2천명의 근로자–한 달 만에 1,900명이

증가하고 1년 만에 14,500명이 증가

운송/창고/유틸리티: 69만1천명의 근로자–한 달 만

에 600명이 증가하고 1년 만에 8,900명이 증가

금융: 41만명의 근로자–한 달 만에 300명이 증가하

고 1년 만에 3,200명이 증가

프로페셔널/비즈니스 서비스: 101만 명의 근로

자-한 달 만에 3,700명이 감소했지만 1년 만에 15,700

명이 증가

정보: 25만명의 근로자–한 달 만에 4,400명이 감소하

고 1년 만에 14,100명이 감소

정부: 94만5천명의 근로자–한 달 만에 62,400명이

감소했지만 1년 만에 14,200명이 증가

LA 카운티의 고용시장 현황

로스앤젤레스 카운티: 461만 명의 근로자가 한 달 만

에 25,800명 감소했지만 1년 만에 104,300명 증가했다.

참고: 2015년과 2019년 사이에 일자리는 7월 평균

36,000명 감소했다.

News 23

밸리대한노인회‘한여름의 세미나’행사를 마치면서…

세미나는 노인들에게 지식과 정보를 제공하며, 사회적 활동을 촉진하고 건강 한 노후생활에 도움이 되는데 밸리지역의 시니어들을 위한 ‘한여름의 세미

나’ 행사가 지난 8월19일 밸리대한노인회와 밸리생명의교회 공동주최로 추

진되었다. 대한노인회 최미란 회장의 사회로 시작된 이날의 세미나 진행은 3가

지 섹션으로 나뉘어 참가자들 전원에게 유익한 정보들이 전달되었고 섹션별로

전문의들의 강의를 통해 좀 더 폭넓고 정확한 바른 인식을 가질 수 있는 기회

가 되었다.

당일 다루어진 전문성 있는 세미나의 3가지 분야는 * 건강관리(SCAN Health

Plan / 김진수), * 재정관리(오주형CPA), *영성관리(변은광 목사)로 각 분야의

전문가가 맡아서 진행되었다.

시니어들에게 가장 필요한 정보를 상세하게 전달해주는 것만큼이나 중요한 “치매 방지운동” 시간도 함께 어울어져 전체적인 프로그램은 한층 더 효율 적으로 전달되었다. 또한 맛있는 점심도시락까지 준비되어서 참석하신 모든

분들에게 더없이 즐겁고 행복한 하루가 되었다.

이날 행사를 마친 후 최미란회장은 밸리지역의 시니어들을 위한 새로운 프로 그램을 앞으로도 계속해서 다양한 방법과 폭넓은 분야를 다루겠다고 다짐하며

24 Community News

Community News

앞으로 추진될 행사들을 소개했다.

• 추석대잔치 행사 - 날자 : 9월 23일 (토), 오전10시

장소 : 18531 Gresham St. Northridge, CA 91324 (맛있는 점심 도시락이 준비됩니다)

•10주 가을학기 성인학교 클래스 (9월11일 시

작-11월17일까지)

월요일 - 장구반 ( I ) / 오전 10시-11:30

화요일 - 장구반 ( II ) / 오후 2시 – 3:30

수요일 - 셀폰반 / 오전 10시-12시

목요일 - 라인댄스 ( 중 ) / 오후2시-3:30

금요일 - 하모니카반 (오전 10시- 11:30)

음악교실 (오전 10시-11:30 신설예정)

건강 체조 및 라인댄스(초) / 오전 10시-11:30 (신설 예정)

정규적인 클래스 외에도 탁구반과 장기 바둑반등

이 주중 매일 진행됨 *** 가을학기 클래스신청 문의 : 최미란회장 (714-331-6048) ***

25

후견인 제도 대 위임장 (Conservatorship vs Power of Attorney)

글: 샤론 윤 변호사

어떤 특정 상황에서 사람들은 다른 사람을 위해 결정이 내려야 합니다. 때때

로 그것은 그 사람이 없거나 정상생활을 할 능력이 없기 때문입니다. 이런 일

이 일어날 때, 가장 일반적인 두 가지 해결책은 ‘위임장(Power of Attorney)’

과 ‘후견인 제도(Conservatorship)’ 입니다.

위임장을 사용하면, 본인은 자발적으로 제3자에게 권한을 부여합니다. 후견

인 제도는 일반적으로 비자발적입니다. 이는 법원에 의해 지정되며, 공식적

인 청문회를 통해서만 취소할 수 있습니다.

위임장이란 무엇인가요?

위임장은 귀하가 할 수 있는 법적인 위임입니다. 그것은 제3자가 법적 구속력

이 있거나 법적으로 보호되는 결정을 내릴 목적으로 귀하의 입장을 취할 수

있게 해줍니다. 예를 들어, 귀하가 누군가에게 위임장을 할당했다고 가정합 니다. 이것은 법적인 위임을 받은 제 3자가 귀하의 은행 계좌에 접속하고, 청 구서를 지불하고, 부채를 관리하고, 신용을 확인하고 그리고 재정적인 문제

에 관한 다른 방법으로 귀하의 역할을 할 수 있다는 것을 의미합니다. 이것은

전적으로 자발적인 위임입니다.

귀하는 선택적으로 누군가에게 위임장을 줄 수 있고 언제든지 취소할 수 있 습니다. 또한 위임장의 범위를 지정할 수 있습니다.

위임장이 있으면 대부분의 경우 후견인 제도(Conservatorship)가 필요하지 않 습니다.

위임장은 법원의 절차 없이 설립될 수 있으며, 위임장을 설정하는 것은 비교 적 간단합니다.

26
Law

귀하는 위임장에 서명하고 공식적으로 공증을 받으면 됩니다. 그러나 법적

구속력이 있는 결정을 내릴 능력이 없는 경우 위임장을 지정할 수 없습니다.

또한 당시에 결정을 내릴 정신적 능력이 부족한 경우 위임장을 취소할 수 없

습니다. 이는 다시 한 번 어떤 종류의 법적 구속력이 있는 조치를 취할 수 없

기 때문입니다.

후견인 제도(Conservatorship)는 무엇인가요?

후견인 제도(Conservatorship)는 판사나 청문관이 피보호자가 더 이상 자신의

결정을 내릴 정신적 능력이 없다고 판단될 때 내리는 법률상의 임무입니다.

후견인 제도에서는 법원이 ‘피보호자’로 알려진 한 사람으로부터 일정한

법적 권리를 빼앗아 ‘후견인’으로 알려진 제3자에게 할당합니다.

위임장과 마찬가지로 후견인 제도는 법적 구속력이 있는 결정을 내릴 수 있 는 권한을 포괄합니다. 그러나 후견인 제도는 훨씬 더 광범위할 수 있습니다.

위임장과 달리 피보호자는 이러한 결정을 내릴 수 있는 모든 권한을 잃습니

다. 예를 들어, 재정적 후견인 제도에서는 후견인만이 피보호자의 돈과 재정

적 결정에 접근할 수 있습니다.

피보호자는 이러한 문제에 대한 권한이 없으며 모든 인출, 대출, 지불 또는 기

타 거래에 대해 후견인이 서명해야 합니다.

피보호자는 후견인 제도를 철회할 수 없으며, 법원의 명령에 의해서만 종결

될 수 있으며, 이는 피보호자가 청문회를 통해 공식적인 법적 이의를 제기해

야 한다는 것을 의미합니다.

피보호자는 상황이 변했다는 것을 증명해야 하며, 그들이 더 이상 무능하지 않다는 것을 증명해야 합니다. 이 증거가 없으면 후견인 제도는 무기한으로 유지됩니다. 후견인 제도 위임장보다 법적으로 우선합니다.

위임장을 설정하고 후견인 제도를 피하거나 그것에 대해 더 알고 싶다면 샤

론 윤 변호사에게 연락하십시오.

샤론 윤 변호사는 자산 계획, 신탁 및 유언 검인법 분야에서 몇 안 되는 극소

수의 공인 전문가 중 한 명입니다.

문의: (805) 298-0405

27 Law

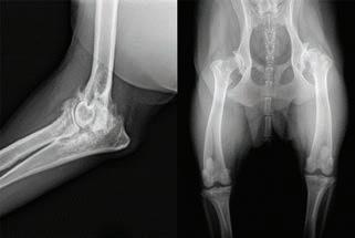
u도입 관절염, 흔히 퇴행성관절염이라 알려져 있는데 관절에 비가역적인 염증이 진

행되어진 상황을 말합니다. 이는 특징적으로 관절 연골이 점진적으로 소실되

어지고 관절주변의 결합조직이 두꺼워지며 대략 25%의 우리 반려견들이 일

생동안 관절염으로 증상을 보이게 되며 노령견의 60% 정도에서까지 방사선 검사 상 관절염 소견을 발견할 수 있습니다.

u진단 관절염의 진단은 수의사의 신체검사, 방사선 검사 및 그 외 관절액 검사, 세포 학 검사, CT/MRI 검사 등으로 진단할 수 있으며 기타 다른 영상 진단검사 및 치료적 반응 검사 등이 추가로 지시될 수 있습니다.

신체검사 소견 (개)

다리를 절거나 누웠다 일어나기 힘들어하는 증상이 흔하며 다리가 뻣뻣해 지

는 강직 증상도 아침에 종종 발견되어 집니다.

수의사의 신체검사로 관절이 부어 있는지 다리의 가동 범위가 제한되어 있는 지 알 수 있으며 흔히 이차적인 근육 퇴축도 많이 발생합니다.

신체검사 소견 (고양이)

개와는 달리 고양이의 경우는 종종 활동성이 줄어들고 가구나 침대 밑으로

숨거나 화장실에서 자세를 잡기 힘들어하는 행동이상을 보이는 경우가 더욱

흔하며 개와 마찬가지로 수의사의 검진 상 관절 종대과 함께 관절액의 증가 로 관절 유동성이 급격히 떨어지는 증상을 발견할 수 있습니다.

방사선 검사 X-ray 나 CT scan 을 통해 고관절 이형성 (Hip Dysplasia), 팔꿈치 이형성(Elbow Dysplasia) 그리고 십자인대 파열(Cruciate ligament rupture) 등을 진단할 수 있습 몇몇 케이스의 경우 비스테로이드 소염제(Nonsteroidal anti-inflammatory drugs; NSAIDs) 의 치료적 약물 치료를 통해 파행 등의 임상 증상의 개선 정도를 파

악하고 잠정적으로 진단을 하기도 하지만 확진을 위해서 추가 검사가

목적은 임상 증상의 완화와 함께 관절의 빠른 퇴행 성 변화를 지연시킴과 동시에 관절 기능의 회복에 초점이 맞춰져 있습니다.

대부분의 경우 몇 가지의 치료가 동시에 이루어지는 경우가 많은데 무엇보다

과체중의

28 Pet Health
여전히 관절염이 일단 발생한 경우 근본적인 치료가 힘든 경우가 많습니다. 따라서 반려 동물의 경우 치료의
경우 관절과 근육에 스트레스가 많이 가해지며 이로 인해 증상 완 매일 산책 및 적절한 운동 가끔 수영 등이 체중 감소와 관절의 유동성 증가에
개와 고양이에 있어서 관절염이란?

도움이 될 수 있습니다.

연골보조제로 알려 있는 관

절 영양제등은 소염 효과와

더불어 연골이 손상되어 지

는 것을 줄여줄 수 있습니다.

흔히 말하는 오메가 필수 지

방산 (Omega -3 Fatty Acid) 또

한 염증 반응을 줄여 줄 수 있으며 장기간 투약 시 다른 약물 용량 또한 줄일

수 있다는 연구 결과도 있습니다.

비스테로이드성 소염제 (NSAIDs) 등이 수의사를 통해 처방되어질 수 있으며

다만 위장관 부작용 및 간수치 상승 그리고 만성 신장 질환의 악화를 불러올

수 있기 때문에 반드시 수의사의 진료 상담을 통해 치료가 결정되어져야 하

며 혈액 검사를 통해 기저 질환 여부를 파악하는 것 또한 중요합니다.

고양이에 있어서는 NSAIDs 사용이 극히 제한되어 있기 때문에 이 또한 수의

사와 상담 하에 다른 치료 및 관리 방법을 시도해 볼 수 있습니다.

이 이외에 기타 보조 진통제 및 침술, 물리치료 등이 활용되어 질 수 있으

며 최근에 줄기세포치료(Stem Cell Therapy)와 Rehabilitation Therapy(e.g. radial shock wave therapy, pulsed signal therapy) 등이 2-3차 의료기관에서 시도되어지 고 있습니다.

외과적인 교정

내과적인 치료 반응이 좋지 않을 경우는 관절염의 기저 원인에 따라 외과적

인 수술적 교정이 지시되어질 수 있습니다. 이와 같은 경우는 흔히 전십자인 대 단열(Cranial Cruciate Ligament Rupture), 팔꿈치 이형성증(Elbow Dysplasia), 이단성 골연골염(Osteochodritis Dissecans), 관절 내 골절(Intra-Articular Fracture) 그리고 관절 불안정(Joint Instability) 의 진단 시 고려되어 질 수 있습니다. 또한

심한 고관절 이형성증의 경우 고관절 교체 수술(Total Hip Replacement) 혹은

대퇴골두 절단술(Femoral Head/Neck Ostectomy)을 통해 우리 반려견들의 통증

을 완화시키고 운동성을 회복시킬 수 있습니다.

예후 및 반려 동물 관리

적절한 치료 및 관리의 경우 수의사의 상담 및 재진을 통해 질환의 진행 정도

와 치료 반응을 평가하게 되며 장기 약물 치료의 경우 정기적인 혈액 검사를

통해 그 부작용을 발견하거나 미리 예방할 수 있습니다. 관절염은 우리 사랑 스런 반려 동물들의 삶의 질을 떨어뜨릴 수 있는 흔한 만성 질환이지만 조기 에 발견하고 꾸준히 관리한다면 오래도록 우리 반려동물들과 함께 할 수 있 음을 알려드리고 싶습니다.

반현정 수의사 (Dr. Nathaniel Ban) Roswinn Pet Hospital 20021 Roscoe Blvd. Ste 15, Winnetka, CA 91306 , TEL: 818-718-2112

29 Pat Health

“요셉의 일”을 시작하며...

오정택 (우드맨 생명보험) 805-208-8242

지난 1월 말로 지역교회의 담임 목회를 마치고 새로운 일을 시작하였다.

나는 이 새로운 일을 “요셉의 일”이라고 부른다.

요셉의 일이란 무엇인가? 구약 성경 창세기 41장에 나오는,“이집트의 7년 풍

년 뒤의 7년 흉년을 대비하는 일”이다.

흉년의 때를 잘 살 수 있도록 미리 준비시키는 일이다. 요셉이 있었기에 모두

가 흉년의 때에 풍년의 삶을 살았다.

당시 최고 문명국가였던 이집트는 오늘의 미국과도 같다. 그런데 미국에도 경

제적으로 흉년이 다가오고 있다.

모든 사람의 은퇴를 대비하는 소셜 연금(SSA)이 10년 후에는 대폭 줄어들 전

망이다.

국가 부채가 늘어나고 신용등급이 떨어지며, 사회보장제도의 축소가 불가피

한 상황으로 치닫고 있다.

요셉은 모든 국민이 흉년에 대비하여 풍년의 시기에 오 분의 일(20%)을 저축

하도록 하였다(창세기 41:34). 현재 미국 정부도 각자가 저축하여 노후 대비를

할 수 있도록 많은 정책적 배려를 하고 있다. 그러나 관심도 부족하고 재정 형

편이 너무 안 좋아 준비를 못 하고 시간만 보낸다. 특히 목회자 가정, 그리고 일선 목회에서 최선을 다하고 은퇴 후 빈곤한 삶을 사시는 선배 목회자들을

보면서 흉년의 때를 지혜롭게 준비시키는 요셉의 일을 하기로 했다.

존 웨슬리(John Wesley, 1703-1791)는 The Use of Money (돈의 사용)이라는 설교

에서 1. Gain all you can(할 수 있는 대로 벌어라)

2. Save all you can(할 수 있는 대로 저축하라)

3. Give all you can(할 수 있는 대로 주라)고 했다.

돈을 모으는 저축의 개념에서는 불필요한 낭비를 줄여야 한다고 했다.

돈을 저축하려면 수입보다 지출이 적어야 한다.

현재 여유로운 은퇴 생활을 하는 한 유튜버는 은퇴 전에 수입의 1/2을 가지고 살았다고 한다.

재미 한인 사업가인 SnowFox 그룹의 김승호 회장은 1/4(quarter)법칙을 수칙으 로 삼고 살았다고 한다.

앞서 언급한 것처럼 요셉은 풍년의 시기에 이집트 땅의 1/5을 거두어 저축하

며 흉년을 대비했다.

흉년의 때를 대비하기 위해 불필요한 지출을 줄이고 저축을 해야 하는데 여

기에는 각오와 인내와 희생이 필요하다. 그리고 저축할 때 고려해야 할 것들

이 많지만 1) 세금 혜택을 받는 저축인가?

2) 미래의 물가상승분보다 높은 이자율인가?

3) 나의 돈이 나의 미래만을 위한 돈이 아니라 이웃을 살리고 지역사회를 섬

기는 일에 사용되는가? 살펴보아야 한다.

웨슬리의 설교대로 물질 사용의 마지막은 드림과 나눔이기 때문이다.

누군가와 나누고 주는 삶이 되어야 모두에게 이 땅의 풍년 희망이 이루어진다.

나는 흉년의 때를 준비시키는 요셉의 마음으로 누구든 형편에 맞게 도와드리 고 있다.

특히 목회자와 가정을 위한 생명보험과 개인 은퇴 연금가입에 동병상련의 마 음을 갖고 있다.

목회자로서 어디에서 일할 것인가 고민도 많았지만, 비영리 회사, 가입자와 가족만이 아니라 지역사회를 섬기는 회사, 오랜 역사와 전통, 튼튼한 재무구 조를 가진 회사를 선택하였고 만족과 보람과 기쁨을 누리고 있다.

30 Business News

Business News

편안한 치료, 확실한 효과, 오랜 경험을

바탕으로 정성껏 치료하는 김상우 한방병원

현대 사회에서 많은

사람들이 스트레스

와 건강 문제로 고민

하고 있다. 이러한 문

제들을 해결하고자 많

은 사람들이 전통적인

치료 방법을 찾고 있

는데, 김상우 한방병

원은 한의원은 침, 통

증치료, 8 체질 한방치료, 체질 보약 등 한방치료로 다양한 건강 문제를 치료

하고 예방하는 공간이다. 특히 한방교정 추나요법으로 각종 통증을 치료 하 는데, 한방교정 추나요법은 통증 완화와 치유를 위한 유용한 방법 중 하나이

다. 이 전통적인 한방 요법은 몸의 에너지 흐름을 조절하여 균형을 찾는 데 도

움을 주며, 다양한 종류의 통증을 완화하는 데 도움을 줄 수 있다. 추나요법은 한의사가 환자의 비틀어진 척추·관절을 밀고 당겨 신체의 틀어진 부분을 바 로 잡고 통증을 개선하는 한방 치료법으로 근육과 관절의 긴장을 완화하고 통

증을 줄이는 데 도움을 줄 수 있다. 특히 만성적인 통증이나 긴장성 허리통, 목통, 어깨통 등을 완화하는 데 효과적이다. 또한 에너지 흐름을 조절하여 신 체의 균형을 유지하고, 에너지 블록을 해소하는데 도움을 준다. 이는 통증 완 화와 더불어 신체 기능의 최적화에 도움을 줄 수 있다.

김상우 한방병원은 개인의 체질과 상태를 고려하여 맞춤형 치료와 만성 통 증, 급성통증, 내과신경과, 정신과 질환, 우울증, 불면증, 한방 부인과 등 다양 한 건강 문제에 대한 치료와 관리를 제공하여 더 나은 건강과 삶의 질을 찾을 수 있도록 도와준다. 또한 각종 보험 취급하는데 Clever Care, Acu-care, Optum, Anthem, 유나이티드 헬스케어, Well Care 등 각종 건강보험 및 메디케어 HMO 로 침 치료 가능하다. 예약 818-966-0653, 주소 10605 Balboa Bl. Suite 302, Granada Hills, CA 91344, 웹사이트 https://kenacu.com

31

2023년 시니어 메디칼 인컴 상한선 올라 up!!

' 인컴높아도 덴탈플랜

자격가능 '

비용감산으로

인컴 변화와 자산 완화로 적극적 신청필요

시니어 메디칼 신청 무료로

도와 드립니다~~'

한인커뮤니티 시니어센터KCSS에서는 65세 이상의 시니어 분들을 위하여 메

디칼 신청 및 각종 소셜 서비스를 무료로 대행해 드리고 있습니다.

지난해 7월 2022년부터는 시니어 메디칼의 자산한계가 완화되어 주정부의 자

산 자격은 개인 13만불, 부부 19만 5천불로 올림에 따라 많은 시니어 분들이

메디칼 수혜자격에 해당되어 왔는데 특히 4월 2023년부터는 인컴 상

한선 기준이 기존 개인 $1,563불, 부부 $2,126불 에서 싱글

월 $1,677불로 6.74% 상승, 부부 월 $2,269불로 7.18%의 상

승폭으로 올라 더 많은 시니어들이 자격이 되어 메디칼 신청을 할 수 있습

니다. 이에 필요한 서류는 개인 ID카드, 소셜카드, 메디케어 카드, 시민권(또

는 영주권), 최근은행 Statement, Utility Bill(전화빌 또는 개스빌), 자동차 등록증, SSA statement, 건강진단서(암, 투석 등 질병문제가 있다면)를 준

비하시면 됩니다.

KCSS에서 주로 시니어에게 도움 드리는 내용은 시니어 메디칼 신청 뿐 만 아

니라 매년 메디칼 자격심사를 위하여 받는 재심사서류 작성과 이에 필요한 첨

부 서류에 대한 내용을 조언해드리며 각종 메디칼, 메디케어 공문 및 소셜 오

피스에서 편지들을 확인해 드리고 특히 66세에 받을 수 있는 SSA신청을 위주

로 해드리고 또한 주정부 SSI자격 및 EBT(Food Stamp)신청을 위한 조언을 해

드립니다.

특히 시니어 메디칼 신청을 위해서 부부합산 인컴이 오버될 경우 배우자중 한

사람만 따로 메디칼 신청이 가능하게끔 도와드리며 또 개인 인컴 또는 부부합

산 인컴이 단 얼마의 인컴 차이로 메디칼이 안되시는 분을 위하여 건강 보험

비를 지불케 도와드려 총수입을 줄여(주정부가 권하는 합법적 방법) 분담 비

용 없이 풀 메디칼을 받을 수 있도록 도와드립니다.

특별히 최근 새로 바뀐 시니어 메디칼 신청의 자산 자격 이 싱글 13만불 또는 부부 19만5천불 보다 더 높은 자산이 은행에 예치 되어있다면 은행 SAVING에

서 보험기관의 저축형 연금 SAVING으로 바꿔 넣어드리고 메디칼을 신청할 수가 있도록 도와드리고 있습니다.

연락처는 KCSS 전화번호323-628-5376, 213-220-6620으로 언제든 문의 하시

면 성의껏 상담해 드립니다.

Health
32

치아의 마모

Gina Kang (강경이 치과 원장) (818)363-0300

우리의 치아는 인간의 몸에서 가장 강한 물질인 에나멜 층으로 덮여 있습니

다. 이 에나멜 층은 뼈보다도 강하고, 모든 종류의 좋은 않은 환경요인으로부

터 치아를 보호해줍니다. 에나멜은 믿을 수 없을 만큼 강한 씹는 힘과 음식의

따뜻하고 차가운 극단적인 온도 변화를 견딜 수 있으며, 수십 억 개의 구강 박

테리아의 일정한 공격으로부터도 치아를 보호합니다. 따라서 에나멜의 손실

은 치아 감도와 충치를 발생시킬 수 있습니다.

- 에나멜 손실의 원인 및 예방 -

산성

불행하게도 우리가 매일 소비하는 음식과 음료의 대부분은 이 중요한 에나멜

층을 파괴하고 마모시킬 수 있는 산성을 포함하고 있습니다. 감귤류와 과일주

스들은 자연 산도를 함유하고 있다는 것을 알고 있지만, 높은 산성함량을 포

함하고 있는 다른 음식들과 음료를 알면 놀라게 될 것입니다. 예를 들면, 소다 (일반이나 다이어트 모두)와 스포츠 음료, 와인, 요구르트, 치즈는 모두 높은

산성함유량의 식품입니다. 에나멜을 유지하려면, 산성음료를 마실 때, 치아를

건너뛰도록 빨대를 사용하고, 좋은 구강위생을 실천하고 건강한 식단을 지켜

야 합니다.

나쁜 습관

입 안에 음료를 물고 우물거리기, 레몬조각 빨기, 모가 뻣뻣한 칫솔로 거칠게

이를 닦는 등의 나쁜 습관은, 점차 시간이 지나면서 에나멜 층을 마모시킵니

다. 만약에 이런 습관을 갖고 있다면 그만 두어야 합니다. 에나멜이 소실되면,

우리 몸은 더 이상 에나멜을 생성하지 않고, 영구 상실 되는 것입니다.

역류

GERD(위장식도 역류질환)같은 특정 신체조건이나 임신관련 입덧, 폭식증이

있는 사람은 입 안으로 위산이 올라올 수 있습니다. 우리는 산을 없애기 위해

즉시 양치질을 하는 경향이 있습니다. 그러나 칫솔질의 연마 작업과 함께 입

안에서 합쳐진 산이 에나멜을 쉽게 마모시킬 수 있으므로 산도가 거의 사라질

때까지 기다린 후에 칫솔질을 하는 것이 중화시키는데 가장 좋습니다. 그러나

가장 중요한 것은 의학적 문제를 해결하기 위해 의사와 의논하여 문제의 원인

을 다루어야 합니다.

이 갈기

자는 동안 자신의 이를 가는 환자들은 치아 상단의 에나멜 층을 결국 갈아버

릴 수 있습니다. 치과 의사들은 환자가 이갈이를 하는지의 여부를 쉽게 발견

할 수 있고, 필요하다면 ‘나이트 가드’를 만들 수 있습니다. 얇은 플라스틱

판은 환자들이 밤에 사용할 수 있으며, 이 나이트 가드는 에나멜 층을 없애는

이갈이로부터 치아를 보호할 수 있습니다.

에나멜 부식은 모든 연령대의 사람들에게 영향을 미치고, 피해는 돌이킬 수

없는 것입니다. 한번 소중한 에나멜이 사라지면, 그것은 영원히 사라지는 것 입니다. 따라서 보호와 예방이 핵심입니다. 치과를 방문하여 검진을 해 보세 요. 이미 에나멜 손상이 되었다면, 치과의사는 더 이상의 부식을 방지하고 감

도를 최소화하기 위해 치아 복원을 도울 수 있습니다. 에나멜을 지키는 것은

백옥 같은 미소를 지키기 위한 최선의 방법이다. 감사합니다!

Health 33
33

Health

메디케어 바로알기 (13)

메디칼 재심사

제공: 엔젤라 장 보험 (323) 707-4242

메디캘 갱신 안하면 메디케어 혜택도 영향을 받는다 #2

2020년부터 코로나19 팬데믹으로 인한 공중보건 비상사태(PHE) 기간 동안

각 주 정부는 별 다른 갱신 절차 없이도 메디케이드 가입자들의 혜택을 유

지했다. 그러나 4월 1일부터 비상사태가 해제되면서 캘리포니아 등 주 정부 는 자격 갱신절차를 재개하고 메디케이드 가입자의 자격을 모두 재검토(redetermination)하겠다고 나선 것이다.

캘리포니아 주의 경우 2023년 4월부터 14개월 동안 1500만 명을 대상으로 실

시할 방침을 세우고 이미 시작하였다. 상당수의 한인들이 이미 통보를 받았다.

캘리포니아 보건국(DHCS)은 이 중 300만 명이 메디케이드 자격을 재검토 받

게 될 것으로 내다보고 있다. 이처럼 캘리포니아 주의 자격 재검토 대상자 숫

자가 많은 것은 그동안 서류 미비자(undocumented)에게도 메디캘(Medi-Cal) 혜

택을 주기 때문이다.

캘리포니아 주는 재검토에 필요한 개인정보를 추가로 요구하고 이에 대해 45-60일 이내로 답변하라는 통지서를 대상자에게 보내는데 이를 노란봉투로

오기 때문에 노란봉투(yellow envelopes)라고 부른다.

캘리포니아 주는 5세 이하 어린이들에게는 계속 의료보험을 제공할 것으로

보고 있다. 그렇다면 어떤 경우에 메디케이드 자격을 잃을 수 있을까? 예를

들어 최근 3년간의 코로나19 팬데믹 기간 동안 인컴은 전과 동일한데 가족 수

가 줄었거나, 연소득이 상승했을 경우 앞으로 12개월간 메디케이드 자격을 잃을 수 있다.

또 메디케이드 수혜자격은 되지만 최근 3년 동안 이사를 하고 Medi-Cal 담당

기관에 이를 신고하지 못했을 경우, 또한 주소지 불명으로 메디케이드 연장 서류를 받지 못한 경우 등이 이에 해당한다.

만약 아직도 서류를 받지 못했다면 확인 할 수 있는 방법이 있다. 먼저 각 주 정부의 메디케이드 담당기관 홈페이지에 접속해 보면 본인 에게 통지서가 배 달되었는지 여부를 확인 할 수 있다.

캘리포니아주는 메디캘 홈페이지(https://www.dhcs.ca.gov/keep-your-Medi-

34

Cal/Pages/Update-my-information.aspx)에서 이에 대한 확인이 가능하다. 대상

자는 Paper 통지서를 작성해 보낼 수도 있지만, 효율성과 정확성 때문에 온라

인 홈페이지를 통해 확인 할 것을 권장한다. 앞에서 언급한대로 3년 동안에

이사를 했거나 주소가 변경으로 통지서를 받지 못했다면 자격 갱신 시기를

놓칠 수 있기 때문이다.

통지서를 받았다면 가능한 한 빨리 작성한 통지서 양식과 자료를 함께 제공

된 반송봉투를 이용해 메일을 보내야 한다.

양식은 온라인 또는 직접 방문해 제출할 수 있다. 만약 소득증가, 가족 수 감

소 등으로 인해 불가피하게 메디케이드 자격을 잃는 상황이 발생한다고 해서

바로 수혜 자격이 중단되는 것은 아니다.

만약 메디캘 담당 부서로 부터 Termination 통보를 받았다면 Covered California (ACA) 마켓 플레이스(Coveredca.com)를 통해 건강보험에 가입할 수 있다.

인컴에 따라 다르기는 하지만 정부로 부터 받는 보조금도 있으므로 비교적

저렴한 가격으로 의료보험 혜택을 받을 수 있다. 또한 65세 이상의 메디칼 대 상자가 메디칼에서 terminate 되었다면 여러 가지 다른 방법의 수혜를 경험 있 는 에이전트를 통해 알아보기 바란다.

제공: 엔젤라 장 보험

전화 323-707-4242 사무실 213-908-5100

621 S. Virgil Ave. #203, Los Angeles, CA 90005

35 Health

Health

조앤 홍 보험전문가 - 상담 및 도움을 드리는 코너

궁금한 점 무엇이든 물어보세요.”

보험 에이전트는 보험 및 금융 분야에 전문화된 전문가로, 복잡한 절차와 용

어를 설명하고 안내해 줄 수 있습니다. 배우자의 사망 시, 갑작스러운 상황에

서 보험 청구 및 금융 절차를 처리해야 할 수 있는데 에이전트는 이러한 절차

를 단순화하고 필요한 단계를 안내하여 부담을 줄여줍니다.

보험 에이전트와의 협력은 가족의 금융 미래를 안전하게 보호하기 위한 중요

한 단계 중 하나입니다. 적절한 보험 및 금융 전략을 수립하여 가족의 재정적

인 미래를 더욱 견고하게 만들 수 있습니다.

** 사랑하는 남편 혹은 부인과 사별했을 때 상황에 관해

62세의 남편 김복동씨는 60세 아내 김영옥씨를 2023년 1월에 잃었습니다. 오

래 아팠던 김영옥씨는 Disability 연금 $1,000을 받고 있었고 재산은 살고 있던

집, 은행 저금, 차를 소유하고 있었습니다.

Q: 김복동씨는 아직 62살이라서 소셜을 받을 나이가 안 되서

아내의 Disability 연금을 계속 받을 수 있는지가 궁금합니다.

A: 네~ 가능합니다.

아래 서류들을 준비해서 소셜 오피스에 가서 신청하세요.

1. 결혼 증명서: 한국에서 결혼했을 경우 한국 영사관에 가서 신청하면 그날

로 받을 수 있습니다.

시니어 분들은 약속을 안 하고 가셔도 됩니다. 한국어와 영어 서류 둘 중에 하

나를 정해서 받으면 됩니다. 한국어 서류는 번역과 공증이 필요합니다. (한국

영사관 주소: 3243 Wilshire Blvd, Los Angeles, CA 90010, 213-385-9300)

2. 사망 Certification: 보통 사망 후 2-3주 후에 받습니다.

3. 김영옥씨 시민권 혹은 영주권

Q: 소셜 오피스에서 다른 질문을 할께 더 있나요?

A: 큰돈은 아니지만 모르고 신청 안하면 못 받는 $255.00 Death payment가 있 습니다. 신청하세요.

Q: 김복동씨가 김영옥씨의 Disability 연금을 받다가 본인이

66살 반쯤 됐을 때 본인의 연금으로 바꿔서 받을 수 있나요?

본인의 연금으로 언제 바꾸는 게 유리한지 알려주세요?

A: 이점은 개개인의 경제 상황에 따라 답이 달라집니다. 예를 들면 김복동씨

가 65살에 소셜 연금 $1,500을 받는다고 가정하면 저는 65살에 받는 것도 고려 하시라고 조언 드리겠습니다.

이유는 김복동씨는 후에 Medi-Medi 자격이 주어집니다만 후에 받으면 불이익

을 받을 수도 있기 때문입니다. 이 점에 관해서는 다음에 좀 더 자세히 써볼까 합니다.

36 “

Business News

Q: 두 분의 이름으로 소유하고 있는 집은 어떻게 할까요?

A: 1. 집문서에서 사망한 분을 빼야 합니다. 집문서에서 뺄 때 사망해서 뺀다

는 분명한 서류를 같이 동봉해서 등록해야 합니다. (재산세 문제가 생길 수가

있습니다) 보통 $300-$400 차지가 있지만 전문가에게 부탁하세요. 리빙 트러

스트가 있으면 변호사에게 부탁해도 됩니다.

2. 김복동씨는 죽을 때를 대비해서 자식들을 집문서에 올리려고 합니다.

자식을 넣을 때는 재산세는 올라가지 않지만 여러 불이익도 고려해야 합니 다. 김복동씨가 죽은 후에 자식이 유산을 상속하면 인컴택스에 많은 절약이 있습니다.

고려할 점: 부부 한 분이 사망하면 샀을 때의 집 가격에서 사망했을 때의 가격 으로 상향조절이 됩니다. 또한 사망 후 2년 안에 팔게 되면 부부 $50만까지 세 금혜택을 받습니다.

Q: 아내와 공동으로 한 은행잔고와 아내 연금을 어떻게 할까요?

A: 리빙 트러스트가 있으면 변호사에게 먼저 상의하세요. 리빙 트러스트가

없다면 각 은행구좌에 내가 죽으면 줄 사람 (Beneficiary)를 정해서 은행에 알

리세요. 급하지 않다고 미루지 마세요.

궁금한 점이 있으면 Text나 이메일로 문의해주세요. joannehongins@gmail.com or 818-606-9486

밸리 유일의 한인 정육점

‘818 Meat Factory’ 그랜드 오프닝

818 Meat Factory는 다년간의 홀세

일 노하우로 프리미엄 고기를 착한 가

격에 선점했고, 한국인이 즐기는 육류

를 비롯해서 다양한 육류 제품을 보

유하고 있다. 고품질 소고기, 돼지고

기, 닭고기부터 특별한 부위까지, 신 선한 육류 제품을 제공하는‘818 Meat Factory’의 육류는 요리를 더욱 특별하 게 만들어줄 것이다.

부위별 다양한 취향을 고려한 육류나 고기 커팅도 원하시는 사이즈대로 맞 춰드리며 방문 고객들께는 오픈기념으로 기념품을 증정(소진 시까지)을 하고 있다. ‘818 Meat Factory’는 신선한 육류의 맛을 누려 고객들의 식탁을 더 욱 풍성하게 해드릴 것이다.

주소 : 20521 Devonshire St, Los Angeles, CA 91311

문의 : (818) 818-6086, 웹사이트 : www.818meatfactory.com

37

골프계의 행운아! 김형달 공인세무사, 또 홀인원!

김형달 세무사가 지난 8월 24일

Moorpark County Club의 Ridgeline

Course 9번홀(173 yard)에서 6번 iron

으로 홀인원을 기록했다. 2021년 11

월에도 홀인원을 했었는데 이번에

생애 6번째 홀인원을 했다는 쾌거

를 전했다. 이번 라운딩의 동반자

는 서홍석 치과원장(밸리 Ace Dental Group), 김석구 선배, 정현철(Tomo와 Simi Valley의 K-BBQ)사장이었다.

형달 공인 세무사는 UCLA에서

학을 전공했고 고객의 입장에서 함

께 고민하며 최선의 결과로 만족을 드리며 오랜 시간 신뢰를 쌓아오고 있는데, 회계, 재무, 서기, 개인 및 회사 등의 모든 세금보고, 온라인 재무 및 회계서비스, 주식회사/동업/LLC 설립대행, 공증 등 고객들께 필요한 서비스를 친절하고 바르

게 안내해드리며 해결해 드리는 김형달 세무사는 세금에 대한 고민과 궁금증이

많은 고객들에게 무조건 세금을 덜 내는 방법이 아닌 합법적인 절세로 지혜롭게

고민을 해결할 수 있도록 도와드리는 든든한 파트너로써 전문적인 세무서비스

를 제공하고 있다. 문의 : 818-700-0023 / 818-903-2005(Cell) / kktaxacc@gmail.com

생활을 더욱 편리하고 즐겁게 만드는

생활용품 전문점 홈스

더욱 편리하고 풍요로운 생활을 위해 필요한 다양한 생활 용품을 한 자리에서 만날 수 있는 홈스는 최상의 품질과 다양한 제품 라인업 으로 고객을 맞고 있다. 생활용품 전문점 홈스에서는 가을을 맞아 좋은 가격, 품질 좋은 제품들을 판매하고 있는데, 신뢰할 수 있는 브랜드와 검증된 제품 들로 특히 환절기를 맞아 피부 관리에 추천할 만한 기능성 화장품을 스페셜

가격에 판매하는데 백옥크림, 나이아신, 글루타치온, 수분/보습/미백 & 주름

기능성/항산화 성분이 있는 R828 슈퍼 리페어 세럼크림 그리고 페이스용, 팔 자주름, 촉촉함(수분공급), 저자극, 부드러운 발림이 좋은 R828 펩타이드 리프

팅 크림을 구입하면 촉촉함(수분공급), 트러블 케어, 분사력이 탁월한 R828 펩 타이드 볼륨 토너 미스트를 무료로 드린다. 이밖에 다양한 브랜드를 통해 피 부 타입과 스타일에 맞는 제품을 찾아보실 수 있는데 예방의학 박사 여에스 더 글루타치온 제품을 비롯해서 김정문 알로에 쿨링선쿠션 리필을 판매하고 숨 화장품, 후 화장품, 설화수 화장품 등 한국 브랜드 화장품을 세일 가격으로 구입하실 수 있다. 이밖에도 각종 헤어 제품과 눈 영양제, 대웅 약탕기 등 가 족을 생각하는 주부들이 만족할 만한 알찬 제품들을 판매하고 있고, 고객들 의 가정에 꼭 필요한 실용성 제품들을 다양하게 구비하고 있어 많은 고객들 이 믿고 찾는 곳으로 널리 알려져 있는데 홈스는 밸리 그린랜드 마켓 몰 내에 위치하고 있어 더욱 편리하게 이용하실 수 있다. 문의 : 213-434-9888

38 Business News
경제

Business News

또렷한 눈매를 만들어주는 속눈썹 관리

속눈썹 관리는 크게 속눈썹 연장과 증모 또

는 속눈썹 펌으로 나뉩니다.

두 관리의 차이점과 장점에 대해 자세히 설

명해드리겠습니다.

두 가지 속눈썹 관리의 가장 큰 차이점은 가

모를 붙이느냐에 대한 것과 본인의 속눈썹

만으로도 컬을 잘 만들어내는가 하는 것입 니다.

본인의 속눈썹에 인조모를 붙여서 속눈썹

의 굵기와 길이를 더 두껍고 길고 풍성하게 만들어내는 속눈썹 연장은, 가모

의 두께와 길이, 컬 종류에 따라 다양한 디자

인이 가능하며 속눈썹이 짧고 얇은 사람도

전후의 차이를 크게 느낄 수 있습니다.

본인의 속눈썹이 얇고 짧은데 길고 풍성한

컬을 원하거나 차이를 크게 주며 따로 눈 화

장을 원하지 않는 분들께 추천해드리는 방법

입니다.

속눈썹 뷰러펌은 본인의 속눈썹만으로 컬을

만들어내는 관리로, 뷰러를 따로 찝지 않더

라도 컬이 올라가 있게 되는데, 이 관리의 장점은 본인의 속눈썹만으로 컬을

만들어내기 때문에 이물감이 전혀 없고, 습하고 더운 날씨 등에도 상관없이 유지가 된다는 것입니다.

속눈썹이 원래 올라가 있는듯이 자연스럽게 예쁜 눈을 만들 수 있어서, 본인 의 속눈썹처럼 자연스럽게 보이고 글루 알러지가 있거나 속눈썹이 자주 눈을 찌르는 분, 눈을 자주 비비고 눈에 물이 많은 닿는 환경에 노출되어 연장이 어 려운 분들께 추천해드리는 방법입니다.

문의: (213) 519-0164 Julia Kim

39

스크린 골프 그랜드오프닝!

플랜트 레이디 Kyo 가 쓰는 글 (TDC Indoor Plant Service 213-610-0011)

트로피칼 플랜트로 플랜트한 중

앙의 색깔이 꽃처럼 보이게 되

는 브로멜리아드

한번 너서리에서 사서 어느 곳

에 두면 보통 석 달 정도는 처음

모습으로 플랜트 중앙의 꽃 색

깔 부분이 여전하게 있어주어

골프를 사랑하는 분들에게 실내골프 연 습장은 지속적인 연습과 기술개발을 위 한 최적의 장소이다. 특히 날씨의 변화나 계절에 관계없이 실내골프 연습장에서

는 항상 완벽한 연습 환경을 누릴 수 있 는데, 바람이 많이 불고 비가 자주 오는 겨울이나 뜨거운 여름에도 불구하고, 편 안한 실내에서 최상의 골프 경험을 즐길

수 있다. 또한 실내골프 연습장은 최신

시뮬레이터 기술을 통해 현실감 있는 라

운드를 즐길 수 있는 기회를 제공하고 스

윙을 분석하고, 자신의 기술에 필요한 개

선 사항을 발견하며 지속적으로 스윙을

연마할 수 있다.

필드보다 재밌는 GOLFZONE+ 스크린

골프연습장이 밸리 지역에 새로 오픈했

다. 필드의 현장감, 생동감 그대로 스윙

의 맛을 그대로 느낄 수 있는 골프존 플

러스 스크린 골프는 캘리포니아의 햇빛

같은 쪽의 색깔을 잘 배치를 하여야 한다.

나는 이 브로메리아드를 또 다

른 효자 플랜트로 여겨준다.

이 플랜트도 여러 색깔이 있어

주변 분위기에 맞추어 꽃 부분

또 여러 모양의 잎들이 있어 이 플랜트는 정말 배치를 할 때 주위 분위기를 꼼 꼼히 잘 생각을 해서 배치를 하여야 하지만 한번 어느 곳에 갖다 두면 몇 달은 신경을 곤두새우지 않게 하는 효자 플랜트이다.

비슷한 성질의 다른 플랜트들과 섞어놓아도 무척 잘 어울려주어서 난 이 브로 멜리아드 플랜트를 좋아한다.

우리의 생활주변을 산 플랜트들을 놓아두면서 잘 관리해 주고 플랜트들이 또 우리들에게 나누는 여러 이점들을 많은 이들이 누리며 지내시게 되시기를 바 래본다.

*브로멜리아드 (Bromeliad) 식물 : 아름다움의 화초

브로멜리아드는 화려한 잎과 독특한

형태의 꽃으로 눈길을 사로잡는 매력

적인 실내 식물인데 남미 열대지역을

기원으로 하며, 다양한 종류와 색상

으로 다양한 모습을 선사한다. 브로

멜리아드는 특이한 생장습관을 가지

며, 플랜트부분에 물을 모아 먹이를

공급받는 특징을 지니고 있다. 이로

인해 쉽게 관리할 수 있으며, 실내 장

식용으로 널리 사랑받고 있다. 또한

밝은 간접 조명을 선호하며, 온도와

습도 변화에 민감하므로 적절한 환경

에서 관리하는 것이 중요하다. 이 독

특한 식물은 실내 공간을 화려하게

장식하며, 꾸준한 관리로 오랫동안 아름다움을 선사한다.

40
“ 나의 또 다른 효자 플랜트, 브로멜리아드 ”
완벽한 스윙을 위한 최적의 공간 GOLFZONE+
걱정 없이 시원하게 연습도 하고 18홀 게임도 하고 PGA Licence Pro에게 레슨도 받고 최첨단 멀티미디어를 적용한 스윙분석으로 골프고민을 해결할 수 있다. 전화 : (818) 577-5566, 주소: 10338 Reseda Blvd. Northridge, CA 91326www.golfzoneplus.com
Business News

Business News

서울 강남 청담동 이가자 미용실 매니저

서울 시장배 미용대회 헤어컷 금상 수상

문교부 장관상 수상 (퍼머부문)

서울 올림픽 선수촌 상가 헤어스케치 원장 (미스코리아 후원 미용실)

2002년 월드컵 선수, 임원 지정 미용실 (Hair cut, color part)

우정미술학원 유치원 원장

토니앤가이 컷 부문 수료

박준 뷰티랩 해외연수 (프랑스, 이태리)

LA 이가자 미용실, 밸리 이가자 미용실 근무

2009년 라디오 코리아 하이틴 배출

전 박준 뷰티랩 원장

현 아트허브 헤어 원장

미용칼럼 연재중

손상된 헤어 재생

Art of Hair 원장 : Alice Shin

집에서 자주하는 헤어 염색이 가끔은 손상을 초래할 수 있다. 헤어를 더 건강

하게 유지하고 복구하기 위한 미용실 아트오브 헤어의 조언은 다음과 같다.

* 헤어 손상을 최소화하기 위해 적절한 샴푸와 컨디셔너를 선택하는데 헤어

보호기능을 가진 제품을 활용하면 수분을 보충하고 힘을 되찾을 수 있다. * 헤어드라이어, 고데기, 헤어 컬링 아이론 등을 사용하기 전에 열 방호 스프

레이를 사용하면 열에 의한 손상을 예방하고 헤어를 보호하는 데 도움을 줄

수 있다.

* 손상된 끝단을 잘라내면 건강한 헤어 성장을 촉진하는데 효과적인데 주기

적인 헤어 트림은 끝단의 열림과 갈라짐을 방지하며 헤어를 더욱 건강하게 유

지할 수 있게 도와준다.

* 손상된 헤어를 복구하기 위해 영양분이 풍부한 헤어 마스크나 오일 트리트

먼트를 사용은 정기적인 영양 공급으로 헤어를 보다 강하고 윤기 있게 만들

수 있다.

* 염색, 탈색처리 등의 과도한 화학처리는 헤어손상을 야기할 수 있는데, 가 능한 한 자주 이러한 처리를 피하거나, 헤어샵에서 전문가의 조언을 듣고 안

전한 방법으로 해야 한다.

* 헤어를 건조할 때 긁거나 문지르면서 건조하지 말고 부드럽게 수건으로 물

기를 제거해야한다. 더불어 헤어드라이어 역시 부드럽게 사용하여 헤어를 손

상시키지 않도록 주의해야한다.

* 헤어 스타일링에 대한 전문가의 조언을 듣는 것이 중요하다. 미용사나 헤어 스타일리스트와 상담하여 헤어 타입과 상태에 맞는 케어 방법을 알아두자.

손상된 헤어를 관리하고 건강하게 회복시키는 것은 시간과 노력이 필요한 작 업이지만, 헤어샵에서 전문가의 조언을 따르면 보다 아름다운 헤어를 유지할

수 있다.

아트 오브 헤어는 최신 유행헤어와 고객들이 만족하는 새로운 스타일을 끊임

없이 연구하며 최선을 다하는 곳으로 널리 알려져 있는데, 팬데믹 때문에 집

에서 칼라를 많이 하셔서 헤어관리가 필요한 분들을 위해 손상된 헤어재생

(Made in Korea 제품)을 위한 특별 헤어관리를 해드리고 있다. 또한 올개닉 헤

어펌 및 올개닉 컬러, 올개닉 트리트먼트로 건강하게 아름다운 헤어스타일을

만들어드리며, 웨이브 마스터, 디지털펌, 오존펌, 두피케어, 콜라젠 헤어펌 등

으로 차별화된 실력과 좋은 제품으로 성심성의껏 헤어 관리과 만족스런 헤어

스타일을 만들어 드리고 있다. 문의 : (818) 263-0216

41

러빙하트 - 자선 바자회, 학생부 모집

러빙하트는 기독교 정신을 바

탕으로 봉사하는 비영리단체

로서 각종 교육 및 취미활동,

특별행사, 지역봉사 및 구호

를 통해 개인의 행복추구와

자아실현, 타인과의 건강한

관계 만들기, 더욱 건강하고

따뜻한 사회를 만들고 커뮤니

티 돕기에 이바지하고 있다.

지난 8월 19일 토요일에는 러

빙하트 바자회가 열렸는데 이

자선 바자회는 함께 모여 다 양한 물품(New & gently used items)을 판매하고 구매함으로써 사회적인 목적을 이루는 소중한 행사이다.

모든 수익금은 Foster kids 들을 비롯해서 사회 취약계층을 위해 쓰여지며 지역

내 도움이 필요한 사람들을 위한 자선 활동에 사용될 예정이다. 또한 수제 돈

까스도 판매했는데 바자에 못 오는 분들은 바자회가 끝난 다른 날 아무 때나

오더 하시면 픽업 또는 딜리버리도 가능하다. 모든 수익금은 Foster Kids 들을

비롯해서 사회 취약계층을 위해 쓰여진다. 앞으로도 러빙하트의 각종 봉사와

자선행사는 우리 커뮤니티가

함께하는 소중한 순간이 될

것이며 많은 분들의 참여와

관심 그리고 함께하여 사랑과

나눔의 가치를 나누는 소중한

시간이 되길 기대한다.

-공고-

러빙하트 학생부도 모집합

니다. 계속 있던 프로그램인

데 이제 펜데믹을 지나고 다

음세대 양성을 위해 좀 더 본

격적으로 강화하고 있습니다. Santa Clarita, Valley, La Canada, La Crescenta 등 지역에 상관없이 어느 지역도 참여할 수 있고 250+ 이상의 봉 사시간 가능합니다. President’s Award 수여 가능합니다.

우리 아이들이 봉사를 통해 경험하고 좋은 관점을 키우고 스스로의 성장과 함께 사회와 더불어 사는 법을 배울 수 있기를 장려합니다. 문의 : 러빙하트 GRACE SEO 661.373.9647, gseo@lovinghearts4u.org

42 Santa Clarita

Santa Clarita

정수기, 공기청정기, 비데, 안마의자 등

판매, 렌탈 서비스하는 쿠쿠렌탈

쿠쿠 렌탈 아메리카가 발렌시아 및 산타클라리타 지역

사용자에게도 정수기, 공기청정기, 비데, 안마의자 등을

판매, 렌탈해 드리고 있는데, 생활용품 렌탈은 제품을

구매하는 비용을 절감할 수 있고 특히 일시적으로 필요

한 제품이거나 짧은 기간 동안 사용해야 하는 경우에는 훨씬 경제적인 선택일

수 있다. 또한 제품에 대한 자세한 설명 그리고 필터 교환 및 AS 관련. 필터 및

파트 교환, AS 관련 등 자주 묻는 질문 등을 쿠쿠 렌탈 아메리카 전문가가 상 담해드린다. 그리고 다양한 프로모션으로

품을 구매 또는 서비스도 받을 수 있다. 문의: 213-590-9666 로사(Rosa)

27641 Bouquet Canyon Rd. Saugus, CA 91350 (Albertsons옆)
경제적이고 합리적인 조건으로 제

Economy

이하정 (재정 설계사, 213-999-3635)

재정 관리에서 절대 간과 할 수 없는 것 중 가장 우선이며 으뜸은 Protection 즉

여러 가지 보험이라고 합니다.

더욱이 그중에서 무엇보다 중요한 보험을 뽑는다면 생명보험일 수밖에 없으

며 생명보험에 대해 흔히 말하기를 갖고 있는 자산을 가장 잘 보호해주는 보

호막이라고도 불리며 생명보험은 재정 관리에 가장 기초인 기본원리라고도

하며 절대 빼놓을 수가 없다고 재정관리 전문가들은 입을 모아 말합니다. 오

늘은 생명보험에 추가되는 여러 가지 혜택 중 우리가 알아두면 매우 유익하며

또 모르면 큰 손실이 될 수도 있는 몇 가지 중 생명보험에서 사용하는 전문용

어들과 혜택들에 대하여 알아보겠습니다.

많은 소비자들이 아직 잘 모르고 있는 여러 가지 생명보험의 전문용어들과 혜

택들에 대하여 몇 가지만 살펴볼까 합니다.

각각 회사에 따라서 해석이나 용어들이 다양하며 활용하는데 있어서 약간 차 이가 있기도 합니다. 특히 요즘 크게 발전한 ‘인덱스 유니버샬 생명보험 (Indexed Universal Life Insurance)’과 같은 경우엔 정말로 소중한 여러 가지 ‘추가혜택(Riders Benefits)’들이 있는데 이 추가혜택(Riders)들 중에서도 가 장 인기가 많으며 때에 따라서 무료로 제공받을 수 있거나 또는 매우 저렴한

금액으로 좋은 혜택들을 받을 수 있는 경우가 있어서 여러분들께 알려드릴까 합니다.

생명보험 추가사항은 어떤 종류가 있는가?

추가혜택(Riders)은 크게 나눠 2 종류로 분리 할 수가 있으며 하나는 아무런 조 건 없이 누구나 일정한 생명보험에 가입만 하면 100% 무료로 제공 받을 수 있

는 것과 반면 또 다른 경우엔 일정금액을 지불하거나 회사에서 요구하는 어

떠한 조건을 갖출 경우에는 또 다른 혜택들을 받을 수 있는 추가사항이 있다 고 보시면 됩니다.

주로 무료로 제공받을 수 있는 추가혜택 종류에는 Terminal Illness Accelerated Death Benefit Rider(TI), 즉 암에 걸렸고 아무런 치료를 받지 않을 경우엔 12

개월 안으로 사망할 수 있다고 의사가 판단을 했을 경우며, Critical Illness Accelerated Death Benefit Rider (CRT) 중증 즉, 심장마비, 중풍 등이 발생할 경 우에 혜택이 가능하며 또 다른 혜택 중 하나인, LB (Living Benefits Rider) 또는 six Activities of Daily Living (ADLs) without help. 건강상에 문제가 생겨서 일상 생활을 혼자 힘으로 도저히 해결하기가 불가능 한 경우 받을 수 있는 혜택이 지만 한 가지 분명히 알아야 하는 것은 장기요양(Long Term Care)과 크게 분리 되는 부분은 LB 혜택을 받기위해선 어떤 질병이든 영원히 치료가 불가능 한

고질병이어야 한다는 것을 기억하시기 바랍니다.

해당되는 6가지는 Bathing, Continence, Dressing, Eating, Toileting, Transferring(getting in and out of bed or chair) 목욕, 소, 대변자제 문제, 옷 입기, 식사 혼자 할 수 없음, 화장실 사용, 이동하기(침대나 의자에 오르고 내림) 중

2가지를 실행하지 못할 경우 혜택을 지불받게 되지만 장기요양과는 가장 큰

차이는 어떤 질병이나 건강상태가 일시적이 아닌 영구적인 경우에만 혜택이

가능하다는 중요한 차이가 있다는 것을 꼭 명심해야 할 것입니다. 그리고 다 음은 CPB(Concierge Planning Benefits)를 소개하자면 장례절차나 유산상속 등

매우 여러 가지가 포함된 무료 혜택이 지만 단지 일정한 조건 즉 생명보험금

이 $250,000 이상의 IUL Life Insurance 에 가입을 해야 하며 또 자동 페이먼트 (Auto Draft)를 할 경우만 해당이 되지만 (지면상 더 자세한 설명은 불가능 하 므로

44
양해바람) 많은 혜택이 무료로 제공되는 반면 또 비용을 지불해야 하는 주요 추가혜택 중 가장 많이 알려지고 제일 인기종목 중 하나는 역시 Long 우리에게
중요하고 유익한 생명보험 전문용어들

Term Care (LTC) 양로보험 이라고 생각합니다. 이도 역시 Bathing, Continence, Dressing, Eating, Toileting, Transferring (getting in and out of bed or chair) 목욕, 소, 대변자제 문제, 옷입기, 식사 혼자 할 수 없음, 화장실 사용, 이동하기(침대나

의자에 오르고 내림) 6가지 중 2가지만 충족되면 가능하며 LB 혜택과 가장 큰

차이는 2가지인데 그중 한 가지는 건강상의 문제가 일시적인 경우라도 혜택

이 가능하며 두 번째로는 보상금 액수를 미리 알 수 있으며 보험금이 보장이

된다는 것이며 문제가 발생한 후 90일이 지나면 가입된 보험금의 2%까지 매

월 신청할 수가 있으며 모든 금액은 소득세가 Income Tax free Benefit면제가 됩

니다. 또한 Accidental Death Benefit은 사고 시 보험금액을 200%로 올려서 받을

수 있는 혜택입니다.

그 외에 매우 많은 추가혜택이 있지만 각 회사마다 사용하는 단어나 혜택의

종류에 많은 차이가 있음을 다시 한 번 말씀을 드립니다.

다른 생명보험으로 전환하기/1035 Exchange

그리고 부동산에서는 1035 Exchange라는 용어가 있듯이 보험에도 비슷한 용

어를 사용하는데 보험에서는 1031 Exchange라고 하는 합니다. 즉 현재 갖고

있는 생명보험을 다른 종류의 생명보험으로 전환하는 방법이며 그중에 2가지

종류가 있는데 한 가지는 같은 회사 내에서 좀 더 새로운 보험, 유리한 보험으

로 변경을 하게 될 경우엔 Internal 1035 Exchange 라고 하며 타 보험회사에서

새로운 회사를 전환을 할 경우엔 External 1035 Exchange 라고 하는데 절차는

비슷하지만 한 가지 다른 점이 있다면 같은 회사 플랜 A 에서 플랜 B 로 바꾸

게 되면 해약벌금을 면제 받게 됩니다.

아직 해약 벌금 기간이 남아있다고 하더라고 전혀 손실 없이 전체금액을 인

정해 주며 새로운 플랜으로 옮겨올 때 100% Tax free 1035 Exchange 소득세가

면제되며 보험금 Face Amount을 20% 인상을 할 경우엔 매우 여러 가지 무료 혜택이 가능합니다.

이해가 잘 안 가시는 분들을 위해 예를 들자면, 현제 갖고 있는 보험금액 Face Amount $ 250,000 이며 가입한지가 10년이 됐고 해약벌금기간이 15년일 경우

아직 해약 벌금 기간을 다 채우려면 5년이 남아있다고 가정을 해보면, 현재

Cash Value/(Policy Value 라고도 함) $30,000 이라고 치고 Cash Surrender Value(해

약벌금을 제한금액) $25,000일 경우, 해약벌금 $5,000을 제하지 않고 $30,000

전 액수를 새로 가입하는 보험으로 옮겨준다는 말씀입니다. 그러나 단 한 가

지 조건은 현재 소유한 보험금액 Face Amount 이 $250,000, 일 경우 20% 정도

즉 $50,000를 인상을 하여 $300,000 정도의 보험금을 높여 가입할 경우에 이

해택을 받을 수가 있다는 말씀입니다.

또 많은 분들이 오래전에 가입한 보험을 요즘 새로 나온 획기적인 생명보험

으로 변경을 하고 싶지만 본인들에게 불이익이 있거나 아니면 불가능 하다고

오해들을 많이 하시는 분들을 자주 만나는데 대부분의 경우엔 전혀 그렇지

않거나 오히려 정 반대일 때가 많습니다.

제가 서류를 분석해 보면 새로운 플랜으로 전환을 하는 것이 더욱 유리할 수

도 있고 또 아니라면 현재 플랜을 그대로 유지하는 것이 더 좋은지 정확한 조 언을 드릴수가 있으므로 더 이상 고민 하실 필요 없이 서류를 준비해서 한번

연락해 주시면 상담해 드리겠습니다.

물론 특별한 경우엔 갖고 있는 보험을 그대로 유지 하시는 게 유리할 수도 있

으나 대부분은 그렇지 않은 경우를 더 많이 경험합니다.

이 문제에 대하여 다음호에는 더욱 자세한 설명과 예를 들어서 여러분들께 소개해 볼까 합니다.

어떤 경우에 현재 갖고 있는 생명보험을 그대로 유지하며 또 어떠한 경우엔

망설임 없이 무조건 교체해야만 하는지 각자 본인들이 직접 현명하게 판단할

수 있도록 설명과 조언을 드릴까 계획을 해 봅니다.

우선 Cash Value에 관해서도 살펴보고 Surrender Period 해약벌금 기간 또 Types of Life insurance생명보험 종류나 Name of Life Insurance Company 등등 보험회

사 이름 등 고려해야 할 많은 요소를 통해서 결론을 내릴 수가 있습니다.

다음 달에는 더 깊은 연구 결과를 토대로 결론적으로 제시할 때 구독자분들 께 많은 도움이 되시기를 바라며 다음 달에 다시 찾아뵙겠습니다.

45 Economy

부자가 되는 것을 막는 9가지 중산층의 덫

퓨 리서치 센터에 따르면, 미국 가구의 약 절반이 중산층으로 간주된다. 이는

약 1억 6천 5백만 명에 해당한다.

전형적으로 중산층들은 대학 교육도 받고, 가처분 소득도 있고, 심지어는 은

퇴준비를 계획하고 있을 수 있다. 하지만 그것이 그들이 경제적으로 안정적이

라는 것을 의미하지는 않는다.

사실, 중산층 가정들은 보통 갚아야 할 주택담보 대출, 자동차 대출, 신용카드

와 같은 종류의 부채를 가지고 있다. 이와 함께 이들은 여전히 진정한 부를 달

성하지 못하게 하는 많은 일반적인 재정적 함정에 노출되어 있다.

만약 여러분이 중산층이고 재정적으로 독립적이거나 부유해지고 싶다면, 여

기 여러분이 이 목표를 달성하는 것을 방해할 수 있는 몇 가지 재정적인 결정

이나 행동이 있다.

보여주기 위해 노력하는 사람들

매니토바 부동산의 세바스찬 자니아는 “중산층의 재정적인 함정이 햄스터

바퀴 위에 놓여 있다.”며 “이는 시간이 지남에 따라 가치가 하락하는 자동

차를 구입하거나, 재정적으로 확실한 미래가 없는 학자금 대출을 떠맡거나,

너무 비싸기 때문에 단순히 사서는 안 되는 부동산을 사는 것과 같은 것들이

다”라고 말했다.

사회적 영향력과 압력은 많은 사람들에게 매우 현실적인 관심사인데, 이는 단

순히 보여주기 위한 사치스러운 구매로 이어지는 경우가 많다. 문제는 이것이

부채와 과소비의 순환으로 이어질 수 있다는 것이다. 이렇게 되면 장기적인

재정 목표를 달성하거나 미래에 투자하거나 부를 축적하는 것이 더 어려워질

수 있다.

저축 또는 투자 없는 지출

“일반적인 중산층의 재정적 함정은 주택과 같은 부를 창출하는 투자를 할 수

있게 해주는 저축을 하지 않고 소득 이상을 소비하는 것입니다.”라고 온라인

및 모바일 디지털 주택관리 플랫폼인 홈자다의 존 보드로지치가 말한다.

보드로지치는 "주택 소유자인 중산층에게 재정적 함정은 유지와 보수, 명백한

리모델링 기회를 소홀히 하거나 재정적 관점에서 집을 잘못 관리하는 것으로, 이는 투자를 늘리지 못하게 하고 주택 가치와 자산을 더 낮출 수 있습니다."라 고 덧붙였다.

현상 유지에 안주

사람들이 더 많은 돈을 벌기 시작하면, 그들은 종종 편안해지고 그들이 있는 곳에 정착한다. 이것은 그들이 진정한 부를 성취하는 것을 막을 수 있다.

“중산층의 재정적 함정은 개인이 중산층 소득을 얻기 시작한 후에 현상 유지

에 안주할 때 발생합니다.”라고 개인 금융 전문가인 에녹 오몰루 박사는 말 한다.

“이것은 그들이 이제 적어도 그들의 이웃들처럼 재정적으로 안정적이고 다

많은 미국인들보다 더 잘 사는 것으로 보기 때문입니다. 그들은 경쟁 정신 을 잃고 이는 순자산을 더 성장시키는 능력을 제한합니다.”

자신에게 모든 것을 의지한다.

매니토바 부동산의 세바스찬 자니아는 "중산층이 하지 않는 또 다른 일은 자

신이 모든 것을 스스로 해야 한다고 생각하는 것"이라며 "중산층은 도움을 요

청하는 것이 바람직하지 않다고 생각하는 경우가 많지만 부유층은 가능한 한

많은 것을 위임하고 협력하여 빠르게 소득과 부를 축적합니다."고 지적했다. 중산층에서 벗어나 진정한 부를 얻기 위해서는 종종 금융팀을 만드는 것이

좋은 생각일 수 있다. 이것은 여러분의 목표를 달성하기 위해 종합적인 계획

을 세울 수 있는 금융 고문, 금융 코치, 공인 금융기획자 또는 다른 전문가들

과 함께 일하는 것을 의미할 수 있다.

투자를 활용하지 못한다.

투자하는 법을 배우고 실제로 하는 것도 중산층에서 올라와서 부를 쌓는 열 쇠다.

CPA, CFP, CFEI인 제임스 알렌은 "리먼 브라더스 사태가 발생한 2008년 이후

주식 시장 투자란 위험하거나 심지어 무섭게 보일 수 있습니다,"라고 말한다.

“하지만 투자하지 않는 것은 여러분의 돈이 여러분을 위하여 열심히 일하지 않는다는 것을 의미합니다. 매달 조금씩 투자하는 것만으로도 시간이 지남에 따라 의미 있는 무언가가 될 수 있습니다.”

어떤 중산층들은 어떻게 해야 할지 몰라서 투자를 안 하거나 포트폴리오를 다양화하기보다는 한두 가지에만 투자를 한다. 이것은 재정적으로 매우 제약 적일 수 있다.

제임스 알렌은 "투자 지식이 부족한 사람들은 투자 포트폴리오에 대한 다변 화가 제한됩니다."며 "예를 들어 부동산, 주식, 채권 및 기타 자산에 보유 자산 을 분산시키는 대신 순자산을 모두 필요 이상으로 큰 주택에 투자할 수 있습 니다."라고 말한다.

몇 개의 자산에만 투자하는 문제는 한 가지 투자가 감소하면 전체 자산에 상

당한 영향을 미칠 수 있다는 것이다. 그러나 다양한 포트폴리오가 있는 경우

다른 자산은 적자를 보충하는 데 도움이 될 수 있다.

신용 카드 또는 기타 비싼 부채에 의존하기

또 다른 일반적인 중산층의 행동은 그들의 생활 방식을 감당하기 위해 빚에 의존하는 것이다. 이것은 높은 이자의 신용카드, 자동차 대출, 주택 담보 대출 을 포함한다. 이것들은 멋지게 보일 수 있지만, 창출한 모든 부를 매우 빠르게 잠식할 수 있다.

"빚과 이자에 시달리면 부자가 될 수 없습니다,"라고 파이낸셜 어드바이저스

인 앤젤라 존슨은 말한다. “대출과 신용카드 부채를 갚을 때, 여러분은 자신 을 부유하게 만드는 것이 아니라 그 회사들을 부유하게 만드는 것입니다.”

구입 대신 임대 임대는 유연성 등 장점이 있지만, 부를 쌓기보다는 지출을 유지하는 함정이 될 수도 있다.

홈자다의 존 보드로지치는 "만약 중산층이 임대를 한다면 그들이 지불하는

Economy 46

임대료는 전적으로 비용이며 개인의 부를 창출하는 데 전혀 기여하지 않는 다. 주택 구입은 부를 창출한 오랜 실적을 가진 주거용 부동산에 대한 투자이

며, 집을 사는 것은 부동산 투자와 경영이 부의 창출에 미치는 영향을 인식하

지 못하고, 자신의 주택 형평성을 감시하지 못하는 것은 중산층이 상승하는

데 큰 장애가 될 수 있습니다"라고 말한다. 다른 투자와 마찬가지로, 모든 부

동산을 구입하기 전에 가능한 수익률을 고려하는 것이 중요하다. 왜냐하면

모든 부동산이 동등하게 평가되는 것은 아니기 때문이다.

높은 연봉이 필요하다고 생각하기

중산층의 많은 사람들은 그들의 부나 가치를 그들의 월급에 달려있다고 생각 한다. "부자가 되기 위해 높은 봉급을 가질 필요는 없습니다. 단지 버는 것보

다 적게 쓰면 됩니다."라고 존 보드로지치는 말한다. 그는 "모든 사람들이 그 들의 순자산을 이마에 얹고 돌아다닌다면, 여러분은 친구들의 비싼 핸드백이 나 자동차에 훨씬 덜 감명을 받을 것입니다. 부유한 사람들은 브랜드 이름에 신경 쓰지 않고 그 돈을 절약하는 기회비용을 비싼 브랜드 이름의 물건에 쓰 는 것과 바꾸려고 하지 않습니다."라고 계속 말한다.

장기적인 계획 없음

여러분이 얼마나 버는 것과 상관없이, 장기적인 계획을 세우고 그것을 고수 하는 것은 중산층에서 벗어나 부자가 되기 위해 필수적이다. 보드로지치는 "

여러분이 노력하고 있는 재정적 목표를 정의했을 때 지금은 경솔하게 지출하

는 대신 미래를 위해 저축하는 것이 훨씬 더 쉽습니다,"라고 말한다.

47 Economy

모든 것

지난 3월말 가주에서 첫 시행한 다운페이 보조 프로그램

다시 2억 달러 예산 마련 발표, 올 가을 재개 예정

‘드림 포 올(Dream for All)’은 캘리포니아 주에서 첫 주택 구매자들을 대상

으로 실시, 다운페이를 20프로까지 무상으로 빌려주는 프로그램이다. 거주하

는 동안은 무이자로 빌려주고 나중에 팔거나 명의 변경, 재융자 시에 원금 플

러스 상승한 가치의 15-20 프로를 얹어서 갚게 되는데 상당히 좋은 프로그램

이라 하겠다. 1차는 올 봄 3월말에 실시해서 3억불이라는 자금이 불과 11일

만에 동이 났고 다시 7월 중순 추가 자금 2억불이 통과되어서 올 가을에 2차

로 시행할 예정인데 아직은 정확한 시일은 발표가 나기를 기다리고 있는 상 황이다.

윤 킴 - 브로커/대표 Direct: 661.675.6000

-Seeders Investment, Inc.

-CSUN 회계학 전공

-CPA 시험 패스-2000년

-전 뉴스타부동산 루키상, 탑 에이전트 상 개인 부문

전체 2위 수상

-탑 세일즈 상 2004년-2015년

매년 수상 기록

-현 중앙일보 부동산 섹션 전문가 칼럼 기고중

드림 포 올의 자격 요건은 먼저 최근 3년간 주택 소유한 기록이 없어야 하고

드림 포 올 프로그램을 통해 구입하게 되면 본인이 반드시 최소 5년을 거주해

야 한다.

2차 론의 형식으로 진행되며 한 번은 이를 갚지 않고 재융자를 할 수 있다. 최

대 융자액은 $726,000을 넘지 않는 선에서 가능하다고 1차에서의 가이드라인

은 말했다.

저소득층과 중간 소득층만을 대상으로 하는 대부분의 보조 프로그램보다 소

득 상한선이 매우 높아서 좀 더 많은 이들이 해당될 수 있다 (엘에이 카운티

48
‘캘리포니아 드림 포 올 (California Dream for All)’의

$194,000, 오렌지 $253,000, 샌프란시스코 $30만)

최대 30년까지 빌릴 수 있고 빌린 원금의 2.5배가 최대 상환액이고 거주하는

동안은 빌린 액수에 대한 페이먼트가 전혀 없다 (팔거나, 재융자, 명의 변경, 원금 상환시 예외)

구매가격이나 감정가중 낮은 것 기준 최대 20프로까지, 그러나 20만불이 상한 선이다.

거기에 본인의 돈이나 기프트로 추가 10프로 다운페이 가능하고, 총 30프로의

다운페이가 가능한 것이 또 하나의 장점이다.

이자율이 기존 컨벤셔널 융자할 때와 거의 크게 차이가 없어서 좋으며 융자

액이 적어짐에 따라 훨씬 적은 월 페이먼트에 PMI도 피할 수 있어서 큰 절약

이 가능하겠다.

융자 신청자는 모두 최근 3년간 주택소유가 없었어야 하며 세금 보고를 요구

하는 컨벤셔널 론만 가능하다. 프라퍼티는 캘리포니아 주 안에 있는 것으로

단독주택, 콘도, 타운홈, 매뉴팩츄어 홈 등 원 유닛들이 해당되고 멀티유닛 등

은 해당 안 되나 게스트 하우스나 ADU는 가능하다는 것도 장점이다.

크레딧 점수 700이상일 경우 DTI 50프로까지, 680부터 699점까지는 최대 45프

로까지 (저소득층은 크레딧 660이상 DTI 45프로까지) 융자가 가능하다.

그러면 간단히 절차를 살펴보자. 일단 융자에 필요한 서류와 크레딧 리뷰, 융 자 승인을 얻는다. 선택 가능한 매물 찾기를 최대한 빨리 시작한다.

요구되는 두 가지 교육 프로그램과 인터뷰 과정 완수를 마친다. 프로그램 재

개와 동시에 곧바로 융자 파일을 보내며 자금을 확보 받는다.

자금 확보를 받으면 최대 4개월 내에 에스크로 종료 가능하다.

낙타가 바늘구멍 통과하는 것처럼 힘든 경쟁률이더라도 미리 준비하셔서 좀

더 많은 분들이 혜택을 받으시기를 바래본다.

윤 킴

Direct: 661.675.6000

Broker Associate

드림 리얼티

49

주택 100만불 시대

이상규 ( 뉴스타 부동산 명예 부회장 )

엘에이 주택 가격이 심상치 않다. 최근 리얼터 닷컴 조사에 의하면 7월 현재

샌퍼난도 밸리를 포함한 엘에이 주택 중간가격이 100만불을 넘어섰다.

리스팅 중간가격은 120만불, 작년 대비 19.1% 올랐다. 이자율이 7%를 넘나드

는 데에도 불구하고 예상을 깨고 주택가격이 폭주하고 있다.

에스크로가 종결되어 팔린 중간 주택가격은 99만불, 백만불을 곧 넘길 태세이

다. 스퀘어 풋당 리스팅 가격이 719불이니 주택 가격이 고공 행진중이다.

전에는 100만달러 집을 보았을 때 ‘와우’하며 집 크기와 업그레이드에 감

탄했지만 요즘 100만불짜리 집을 보아도 그저 그렇고 감동이 없다.

산호세 지역의 100만불짜리 집의 크기가 약 1,400 sqft 정도 한다고 한다. 8월

중순 현재 엘에이 시에 약 2,000개 정도 매물로 나와 있는데 그중 62.3%가 백

만불 이상이다. 지난 1년 동안 미국 경제에 불황이 온다는 의견이 분분한 가

운데에서도 왜 이렇게 주택 가격 상승이 지속되는 걸까?

첫째, 주택 시장의 만성적인 공급 부족이다. 인간의 생존에 가장 필요한 게 의 식주이다. 이 중에 가족이 거할 곳인 주택을 공급하는 데에는 다른 재화와 다 르게 시간과 공간의 제약이 많다.

거할 곳이 수요해 비해 부족하다보니 시장 원리에 의해 주택 가치가 정상적 인 인플레이션을 상회하고 있는 것이다.

이미 10년 전부터 유입 인구 증가와 밀레니엄 세대의 주택 수요에 대한 공급 대책이 필요했었는데 이를 해결하지 못해 미 전국적인 주택 가격 상승을 불 러온 것이다.

렌트 가격도 마찬가지로 가파르게 오르고 있는데 렌트 매물 공급 대비 수요 가 압도적으로 높고 최근 인플레이션과 겹쳐져서 대폭 인상되었다. 특히 엘

50

에이 지역은 신규 주택 건축을 수월케 하기 위해 고도제한이나 밀도 제한을

더 적극적으로 풀어야 하는데 지지부진하다보니 공급을 제대로 맞추지 못하

고 있다.

둘째, 부동산 투자가 다른 어떤 투자 방법보다 안전하고 지속적이라는 미국

내 전통적 사고 때문에 부동산 투자에 돈이 많이 몰리기 때문이다.

가격이 폭등함에도 소규모든 대규모든 많은 투자자들이 부동산을 구입하기

때문에 수요와 리스팅 가격은 오를 수밖에 없다.

은퇴 후 필요 자금을 위해서나 아니면 자녀에게 물려주기 위한 목적으로 부

동산에 투자하는 관념과 시각이 부동산 가격 인상에 한몫을 하고 있다.

물론 지금은 가격이 너무 올라가 부동산 투자 진입에 장벽이 높아졌고 그만

큼 부동산 투자 유입 금액은 줄었다. 하지만 고금리임에도 불구하고 리스팅 가격은 지속적인 투자로 인해 계속 오르고 있다. 지금은 이자율이 7%가 넘게 고공행진을 하나 올해 말에는 금리가 6%대로 내린다고 하니 당분간 가격 하 락을 예상하기 어렵게 됐다.

작년 하반기 약간 주춤했던 리스팅 가격이 다시 반등하여 올 하반기 작년보

다 가격이 올랐다.

젊은 세대의 바이어들의 첫 내 집 마련의 길이 전 세대보다 어렵게 됐다. 그래

서 많은 캘리포니아 주민들이 주택 구입이나 주거비용이 더 좋은 타주 이사 를 고려하는 비율이 높아지고 있다. 하지만 잘 살펴보면 엘에이나 인근 지역 에서 아직 덜 오르거나 내 필요에 맞는 주택이 있기에 지역 연구와 재정 준비 및 전략을 전문가와 상의해서 내 집 마련에 성공하시길 빕니다.

51
30 HOT Property Listing 52

모든 주택시장에서 집을 산다는 것은 매우 개인적인 결정입니다. 주택은 대

부분의 사람들이 평생 동안 한 번에 구매하는 것 중 가장 큰 규모이기 때문에, 주택시장에 뛰어들기 전에 확실한 재정 상태에 있는 것이 중요합니다.

모기지 계산기를 사용하여 다운 페이먼트와 이자율을 기준으로 한 달 주택비

용을 추정하세요. 조만간에 무슨 일이 일어날지 예측하는 것은 최선의 주택

구입 전략이 아닙니다. 내일 더 낮은 가격을 기대하며 오늘을 방관하는 구매

자들은 결국 실망하게 될 수도 있습니다.

주택 시장은 다른 많은 시장과 마찬가지로 시간을 맞추기가 거의 불가능합니

다. 예비 구매자들에게 가장 좋은 시기는 그들이 마음에 들고 가족의 현재와

예측 가능한 요구를 충족하고 감당할 수 있는 집을 찾을 때입니다.

많은 전문가들은 훨씬 더 낮은 가격을 기다리는 대신에, 예산과 필요에 따라

집을 살 것을 제안합니다. 만약 여러분이 원하는 지역에서 원하는 집을 찾으

며 가격 또한 예산과 맞는다면, 그것은 여러분에게 맞는 집일 가능성이 있습

니다. 하지만 단지 집을 얻기 위해 너무 많은 희생을 해야 한다면, 결국 구매

자는 후회와 함께 집을 버리게 될 수도 있습니다.

오늘날 주택 시장에서 바이어를 위한 팁 주택가격이 약간 내려갔더라도 원하는 지역에서 여전히 구매할 수 없다는 것

을 깨달을 수 있기 때문에 유연하게 대처하는 것이 중요합니다.

만약 집을 간절히 원하고 있고 온라인으로 일하거나 직업을 바꿀 수 있다면, 더 낮은 가격의 주택 시장으로 이동하는 것을 고려하는 것도 좋은 생각입니

또한, 여러분의 재정 상황을 미리 검토하고, 필요한 서류를 모으고, 여러 대출

기관을 구입하고, 신용 점수를 강화하세요. 그렇게 하면, 여러분이 꿈에 그리 던 집을 찾을 때, 여러분은 꽉 막힌 시장에서 빠르게 행동할 수 있는 더 나은

가장 잘 준비된 사람들만이, 자금을 조달하고, 그들이 감당할 수 있는 것을 확 실히 이해하고, 가격과 목록을 지속적으로 확인하는 것이 오늘날의 경쟁이

세금으로 매달 지불하는 금액이 얼마나 되는지, 그리고 그것이 예산에 얼마 나 들어맞는지 알아보세요.

여러분이 구입하기를 희망하는 지역의 부동산 에이전트를 알게 되는 것은 또 한 여러분에게 타이트한 주택 시장에서 잠재적으로 중요한 우위를 줄 수 있 습니다.

명망 있고 경험이 풍부한 에이전트를 통해 옵션이 무엇인지 알아보며, 재고 가 부족하다는 것은 구매자들이 특히 더 저렴한 지역과 더 저렴한 주택에 경 쟁을 생각해야 한다는 것을 의미합니다.

오늘날 주택시장에서의 셀러를 위한 팁

셀러는 가격을 올바르게 책정하기 위해 반드시 에이전트와 협력해야 합니다. 가격이 적정한 주택들은 경쟁에서 이길 수 있습니다.

매년 셀러들로부터 듣는 가장 큰 유감은 그들이 집 팔 준비를 더 빨리 시작했 기를 바랐었다는 것입니다. 그리고 온라인의 시각적 매력을 무시하지 마세요.

셀러에게 3D 홈 가상 투어를 목록에 포함할 것을 조언합니다.

Zillow에서는 이러한 가상 도구를 사용하는 리스팅은 69% 더 많은 페이지 뷰 를 얻을 수 있다고 보고합니다.

53
언제 집을 사야 하나요?

2023년 6월, 연방대법원이 6대 3으로

‘Affirmative Action (인종·남녀

차별 등으로 인한 사회적 약자 우대

정책)’을 뒤집는 결정을 내리자 많

은 아시아계 부모들은 자녀가 인종차

별을 받지 않고도 좋은 대학에 들어

갈 수 있다고 기뻐했고, 일부 부모들

은 대학이 이렇게 많은 아시아계 학

생을 갑자기 합격시키지 않는다고 생

각하며 회의적이었지만, 대부분의 아

시아계 부모들은 이번 대법원 판결이

자녀의 대학 진학에 어떤 영향을 미

칠지 궁금해 하며 혼란스러워했습니다.

제가 생각하기에 더 중요한 질문은 “대학들이 지원자들에게서 무엇을 찾고 있는가?”는 것입니다.

대학들이 좋아하는 책들, 여름방학에 한 일들, 봉사활동과 같은 쉬운 에세이

질문들을 던지던 시대는 사라졌습니다. 이제, Affirmative Action이 금지되면서,

일부 대학들은 학생들에게 그들의 독특한 정체성과 목소리를 공유하기 위해

조금 더 깊이 파고들 것을 요구하면서 에세이 프롬프트를 바꿨습니다.

최근 뉴욕 타임스 기사는 대학 입학과정에서 그러한 새로운 에세이의 변화를

강조했습니다.

하버드와 스탠포드와 같은 엘리트 대학들은 새롭고 수정된 에세이 프롬프트

를 웹사이트에 올렸습니다. 이러한 프롬프트는 ‘정체성’과 ‘삶의 경험’

과 같은 단어들과 문구를 포함하고 있으며 ‘그것들이 당신의 모습을 어떻게

형성했는지’ 등이 포함됩니다.

하버드 대학은 지원자가 ‘전인적 인간’ 인지를 알기 위해 고안된 작년의 단

일 선택 에세이를 5개의 필수 짧은 에세이로 대체했습니다.

존 홉킨스 대학의 새로운 에세이 프롬프트는 "당신의 정체성의 측면 또는 당

신을 형성한 삶의 경험에 대해 말해주세요."입니다.

듀크 대학의 새로운 에세이 프롬프트는 "당신의 다른 점과 그것이 당신에게

어떤 영향을 미쳤는지 어떤 식으로든 자유롭게 알려주세요."입니다.

이러한 새로운 에세이 질문들은 아시아 학생들에게 새로운 도전을 제기할 수 있습니다. 본질적으로, 그들은 학생들에게 그들의 정체성, 환경, 성격, 그리고

무엇이 그들을 다르게 만드는 지에 대해 더 많이 말하도록 요구하고 있습니 다. 그러나 이러한 에세이들은 많은 아시아 학생들이 비슷한 과외활동, 지역

사회활동, 그리고 교회 봉사를 하기 때문에 대답하기가 어렵습니다.

무엇보다도, 아시아 학생들은 학업 성취도가 높지만, 지루하고, 비슷하다고

정형화되어 있기 때문에 더 많은 성격을 증명해야 합니다.

‘Students of Fair Admissions(SFFA)’이 아시아 학생들을 차별한다고 하버드

대학을 고소했을 때, 그 소송은 아시아 학생들이 종종 하버드 대학의 개성 순

위에서 더 낮은 점수를 받았다는 것을 밝혀냈습니다.

하버드 대학은 유머, 용기, 그리고 친절함을 보여주는 학생들을 찾지만, 많은

아시아 학생들은 대학 에세이에서 이러한 자질을 명확하고 진정한 방법으로

강조하는 데 실패합니다. 2021년 영화 다큐멘터리 "Try Harder"에서, 로웰 고등학교의 성취도가 높은 아 시아 학생들이 엘리트 대학에 들어가기 위해 얼마나 노력했는지를 보여주었 습니다. 그들은 모두 최고의 GPA, 높은 시험 점수, 그리고 훌륭한 과외 활동 기록을 가지고 있었지만, 대부분의 학생들은 아이비리그 대학에 들어갈 수 없었습니다.

많은 성취도가 높은 아시아 학생들은 심지어 아이비리그 대학들이 관심이 없 는 "공부하는 로봇"으로 묘사되었습니다.

이 모든 것은 비록 여러분이 전과목 A를 받은 학생이고 많은 과외활동 기록이 있더라도, 요즘 일류대학에 들어가는 것이 얼마나 어려운지를 강조합니다.

다행스럽게도, 옥스퍼드 학원은 20년 이상 동안 수많은 학생들이 그들의 대학 지원서 안에서 독특한 정체성 쓰는 것을 도와왔습니다.

옥스퍼드 학원은 전문적으로 대학 입학사정관들이 무엇을 원하는지 정확히

알고 있고, 학생들의 가장 좋고 독특한 부분을 강조할 수 있습니다.

무엇보다도, 옥스퍼드 학원은 대학 지원서에 ‘생명’을 가져올 수 방법을 알고 있고 학생들이 실수하거나 ‘공부하는 로봇’처럼 보이지 않도록 하는 것이 얼마나 중요한지 알고 있습니다.

작년에 저는 모든 학교 카운슬러들로부터 UC에 들어갈 기회가 없다는 말을 들은 한 한국학생을 지도했습니다. 그는 단지 4.19 GPA를 가지고 있었고, 많 은 과외활동을 하지 않았습니다. 그의 학교 카운슬러가 그에게 커뮤니티 대 학에 가서 몇 년 후에 UC로 전학을 하라고 했을 때 그는 더욱 우울해졌습니다.

저는 그 학생에게 UC에 합격하는 것은 도전이 될 것이라고 말했지만, 에세이 에서 자신의 고유한 정체성을 명확하게 부각시킬 수 있다면 여전히 기회가 있다고 말했습니다.

우리는 그가 혼자 사시는 한인 어머니의 옷가게를 운영하는 것을 돕는 어려 움과 그것으로 그가 지역 사회 내에서 다른 이민자 비즈니스 업주들이 번성 하도록 돕고 어떻게 영감을 주었는지에 대해 이야기했습니다. 이 학생은 자

신이 도전을 극복한 방법과 독특한 커뮤니티 프로젝트에 대한 열정을 보여줄 수 있었기 때문에 UCLA, USC, UC Berkeley, 심지어 Cornell에 합격했습니다.

우리는 특히 지난 몇 년 동안 대학 입학에 대한 최근의 많은 변화를 고려할 때, 대학 입학이 아주 어렵다는 것을 이해합니다. 하지만 저희의 도움과 안내

를 통해 귀하의 자녀가 눈에 띄고 고유한 정체성을 나타내어서, 미국 최고의

대학에 입학할 수 있도록 하겠습니다.

54 Education

Science

아름다움의 기준은 어디에서 오는가? 진화가 책임이 될 수 있다.

아름다움이란 항상 보는 사람의 눈

에 있는 것은 아니며 일반적인 아름

다움 기준에는 진화론적인 이유가 있다.

아름다움을 감상하는 것은 대부분의

사람들의 일상생활의 일부다. 우리

는 자연에서, 서로에게서, 예술에서, 심지어 아이디어에서도 아름다움을

발견한다. 우리는 아름다운 것을 볼 때 기분이 좋아진다. 그러나 아름다

움에 대한 이러한 평가는 약간의 역설을 제시한다.

인간의 미적 선호에 대한 연구는 아름다움에 대한 우리의 평가가 단순성, 대칭, 색상의 병렬, 특정 모양, 비율 및 기하학과 같은 특정 기능에 수렴된다는 것을

발견했다. 그럼에도 불구하고 사람은 특히 음악, 예술, 의복 및 기타 인간 창의

성 영역에 대한 취향과 관련하여 매우 다른 아름다움 개념을 가질 수 있다.

미의 기준은 부분적으로 객관적인 동시에 주관적인 것으로 보인다. 과학은 이

명백한 수수께끼를 어떻게 설명할까?

심리학 및 미의 기준

배우자 선택의 맥락에서 진화심리학은 흥미로운 이론적 관점을 제공하며, 올해 초 Scientific Reports에 발표된 연구는 우리의 미적 선호가 특정 속성에 수렴되

는 이유를 제시한다. 여기에서 독일의 콘스탄츠 대학의 심리학자 팀은 사람들이 ‘호가스의 아름다움 라인(LoB)’으로 알려진 모양에 대한 미적 선호도를 가지 고 있다는 이전 연구 결과를 되풀이했다. 이 선은 특정한 S자 모양의 곡선이며, 참가자들은 매력에 따라 S자 모양을 선택하는 과제를 받았고, 이 동일한 모양을 지속적으로 선택했다.

1753년 그의 저서 The Analysis of Beauty에서 영국 예술가 윌리엄 호가스는 물 결 모양의 선이 직선이나 곡선보다 시각적으로 더 매력적이라고 제안했다. 그의 ‘호가스의 아름다움 라인(LoB)’은 이후 조경에서 헤어드레싱에 이르기까지 다양한 디자인 분야에서 참조되었다. 그러나 새로운 연구는 LoB에 대한 사람들 의 선호도에 대한 경험적 증거를 제공하는 동시에 우리가 왜 이 특정 형태에 끌 리는지에 대한 설명도 제공했다. 연구자들은 우리 신체의 자연스러운 곡선, 특 히 여성 허리선 곡률의 다양한 정도에 해당하는 S자형 선의 맥락에서 LoB에 대 한 선호도를 테스트했다. 참가자들은 허리선 곡률이 ‘호가스의 아름다움 라인 (LoB)’와 가장 유사한 여성이 시각적으로 가장 매력적이라는 것을 발견했다.

56

Science

아름다움의 진화

이 연구의 저자는 이 특정 모양이 허리에 부상 없이 아기를 낳고자 하는 임산부

를 위한 최적의 허리 곡선에 가깝다고 지적한다. 따라서 그것을 소유한 사람들

은 임신 기간 동안 건강한 자손을 낳을 가능성이 더 높을 수 있다.

이와 같은 연구는 인간이 우리에게 진화적 이점을 제공했거나 여전히 제공하고

있는 기능을 인식하도록 진화했다고 주장한다. 그러나 배우자 선택과 관련된 것

이외의 다른 진화적 힘이 왜 우리의 미적 선호가 수렴되어 대칭 및 리듬과 같은

것을 아름다운 것으로 찾는지 설명할 수 있다는 점에 주목하는 것도 중요하다.

예를 들어 인간은 대칭과 특정 비율에 끌릴 수 있다. 이러한 것들이 우리 환경에

서 지각 규칙성을 식별하는 데 도움이 되기 때문이다. 그것들을 통해 우리는 세

계의 정신적인 모델을 분류하고 형성한다.

환경과 성공적으로 상호 작용하려면 음식, 은신처, 다른 인간 및 포식자와 같은

것들을 구별할 수 있어야 한다.

그러나 앞에서 언급했듯이 아름다움에 대한 우리의 인식은 흥미롭고 미묘한 방

식으로 다양하며 다른 이론적 관점은 우리가 이것을 이해하는 데 도움이 될 수 있다.

'매력적'은 무엇을 의미하나?

우리가 매력적이라고 생각하는 것은 외모를 넘어서는 것이다. 이러한 유형의 미

적 판단은 특정 진화론적 관점의 설명적 틀 밖에 있으며, 대신 우리의 정체성, 자기표현 및 사회적 신호에 대한 감각과 깊이 연관되어 있을 가능성이 높다.

인간은 집단에서 번성하는 매우 사회적이고 우리는 또한 그것이 우리에게 어떤 특별한 의미를 지니는 한 현실의 임의적 특징에 의미를 부여한다.

예를 들어, 자신을 환경주의자라고 밝힌 사람은 자신이 가장 좋아하는 색이 자

연과의 연관성 때문에 녹색이라고 말할 수 있다.

한편 프랑스 국민은 파란색이 프랑스 스포츠팀을 연상시키기 때문에 더 끌릴 수 도 있다.

두 시나리오 모두에서 개인은 자신의 정체성을 나타내는 미적 색상 선호도를 가

지고 있으며 잠재적으로 사회 집단의 다른 사람들에게 신호를 보낼 수도 있다.

무엇이 매력을 유발할까?

2020년 논문에서 독일 베를린 대학의 핑게르허트 박사가 이끄는 연구팀은 미학 적 고려가 우리가 자신을 개념화하는 방식에서 중심적인 역할을 한다는 것을 발 견했다.

연구 결과는 미적 자기 효과라고 불리는 것을 지적한다.

미적 선호도의 변화는 우리가 누구인지에 대한 우리 자신의 생각도 바꿀 수 있 다. “사람들이 자신을 기쁘게 하는 것, 좋아하는 예술 작품의 변화를 상상할 때, 그들은 그것이 자신의 핵심, 즉 자신의 정체성과 정체성에 영향을 미친다고

57

Science 58

2023년 퍼시픽 아메리칸 재단의 장학금 수여

지역한인 커뮤니티의 미래를 주도할 젊은이들을 응원하기 위해 퍼시픽 아메 리칸 재단이 지역 학생들에게 장학금을 수여 했다. 퍼시픽 아메리칸 재단은 지역 한인사회의 지속적인 발전과 교육에 대한 커뮤니티의 헌신을 강조하며, 학생들에게 미래에 대한 희망을 안겨주었는데, 지역사회 한인학생들을 위해

보람 있는 일을 하고자 하는 취지로 시작되어 매년마다 대학 재학생과 대학진 학 예정인 12학년 약간 명을 대상으로 장학생을 선발해오고 있다.

앞으로도 이러한 지원이 지속되어 더 많은 학생들이 자신의 꿈을 키우고 사회

에 기여할 수 있는 기회를 가질 수 있기를 기대해 보며 올해도 어려움이 있었

지만 이웃 사랑 실천의 일환으로 재단 관계자뿐만 여러 분들이 참여해 주셔서

생각합니다.

이는 상상하는 음악 취향의 변화뿐만 아니라 시각 예술에 대한 선호도의 변화에

도 적용됩니다.”라고 핑게르허트 박사는 말한다.

즉, 사람들은 자신의 미적 선호를 통해 자신을 이해하며, 이는 주변 환경의 거의

모든 임의적 특성과 연결될 수 있다.

따라서 진화는 배우자 선택을 위해 다른 사람에게서 매력을 찾는 것을 제한할

수 있지만 미의 기준에는 제한이 없다. 인간은 우리가 선택한 모든 것에 의미와

아름다움을 부여할 수 있다.

힘이

다음과 같다.

EUMIN KIM (UC Berkeley), SANG MIN CHO (UCSD)

SOLOMON BAIK (Cornell), CRYSTAL BAIK (NUY)

ASHLEY AN (UCD), KIMBERLY CHUNG (UCSD)

JOSEPH KIM (UCSD), CHRISTIAN JEON (UCSD)

MINCHEOL SONG (UCLA), LYNTARA CHOI (Colorado State University)

DAWI BONG (Pennsylvania), JOSHUA KIM (Pepperdine)

KAYLA HYUN (UCSD) , 문의: (818) 576-9990

되어 주셨다. 다음 세대들이 열심히 학업에 임하는데 힘을 실어줄 수 있 도록 뜻 깊게 마련된 장학금 수혜자 명단은

호박꽃 당신

글 : 지 상 문

후끈 달은 바람이 목덜미를 스친다. 오늘도 펄펄 끓는 하루가 될 모양이다.

서둘러 마당으로 나간다.

해뜨기 전에 밭에 물을 흠뻑 뿌려주어야 하겠다.

지난봄에 넉넉히 내려준 비가 여간 고마운 일인가, 지구촌이 온통 불볕더위와

물 폭탄의 엇갈린 속에서 고통을 받고 있다니 마음이 무겁다.

거미손으로 무엇이든 휘어잡으며 재빠르게 뻗어나가는 호박 넝쿨이 넓은 이

파리로 나무나 담장을 덮어버리며 흙냄새를 맡으면 마디마다 뿌리를 내린다.

그리곤 아침마다 탐스러운 노란 꽃으로 인사를 해온다.

암꽃과 수꽃이 마주보며 비밀스러운 이야기를 나눈다.

좀 덜 아름다운 여인을 호박꽃 같다고 하는데 마땅한 말은 아닌 것 같다.

뙤약볕아래에선 잎을 움츠릴 줄 아는 지혜도 돋보인다.

축 처진 잎이 안쓰러워 넉넉하니 물을 뿌려준다.

호박 넝쿨에서 나를 본다.

이민은 여행이 아니었다는 생각이 파고든다. 그날 밤에도 달이 뜨고 달이 지

고 있었다. 부리나케 보따리를 끌며 흙을 밟은 다음 에야 달이 내려다보고 있

음을 알아챘으나 달이야 어디나 같은 달이라는 생각에 따져볼 엄두조차 내지

못하고 이제껏 지내온 나날이 되고 말았다.

어언 40년, 40년을 훌쩍 넘기고 나서야 뒤를 보는 아둔한 나를 책한다.

거미손으로 휘어잡고, 흙이면 뿌리내리고, 뙤약볕에 움츠리며 그 그늘아래 애호박을 힘겹게 잡아주는 호박 넝쿨, 그 호박나무가 대견스럽다.

Life 59

Religion

예수인 교회의“핫”한 여름 사역“예스 미션(YES MISSION)”

올해 여름도 대부분의 교회마다 VBS, 유스&청년 수련회, 선교지 보수, 선교여행 등 갖가지 세대별 선교 프로그램

들이 한창 진행되었습니다. 특히 이번 여름에는 펜데믹 이

후 답답했던 교회의 외부사역들이 날개를 단듯 진행되었 는데, 그중에서도 예수인 교회는 매년 “예스미션(YES

MISSION)”이란 여름 종합 선교 프로그램을 진행해 왔습니다. 여기서 예스

미션이란? 이사야의 고백(사6:8)을 기초로 “교회의 모든 성도는 주님의 선

교 명령에(행1:8) Yes! 한다”라는 의미로 매년 여름에 전교인이 자신에게 주

어진 선교지로 나아가 그곳을 한 주일간 섬기고 오는 프로그램입니다. 참가

대상은 어린이부터 노년까지 전교인이 참여하며 가까운 지역교회부터 멀리

멕시코까지 총 8곳의 선교지를 섬기고 돌아오게 됩니다.

제일 먼저 진행된 사역은 교육부의 VBS 사역이었습니다.(7/24-26)

약 40여명의 아이들과 40여명의 스텝과 봉사자들이 3일간 “READY, SET, MOVE”라는 주제로 진행 되었는데, 매일 뜨거운 예배와 신나는 액티비티, 게임, 크레프트등 복음을 온몸으로 체험하는 시간이었습니다. 특히 마지막 날

저녁집회와 결단 기도회는 아이들이 복음에 반응하고 결단하는 시간이 되었

고, 이어지는 MOVE FESTIVAL은 달고나, 솜사탕, 포토존, 물놀이와 바운스

놀이로 한여름 밤의 축제가 되었습니다.

이어진 사역은 유스학생들의 애리조나 미션이었습니다. (7/28-31)

총 17명의 유스학생들과 사역자들은 3박 4일간 애리조나 투산 지역에 위치한

어느 교회로 “노숙인 사역”을 다녀왔습니다. 이곳에서 약 50여명의 노숙인

예배를 섬겼고, 교회 및 차량 청소와 아침에 도시로 나가서 노숙인들에게 복

음을 제시하는 사역을 진행했습니다. 특히 저녁마다 진행되었던 노숙인 스텝

들과의 디보션 시간은 유스학생들에게 평생 잊을 수 없는 간증과 영적 체험을

제공하는 시간이 되었습니다. 어느 여학생은 한 스텝의 거듭난 간증을 듣고는

눈물을 흘리며 “예수님이 정말 살아 계시고 전능하시다”는 믿음의 고백을 하기도 했습니다.

그리고 전교인 미션 사역이 이어졌습니다.(7/29-31)

어린이부터 노인까지 예수인교회의 전교인이 자신에게 주어진 선교지를 향해

출발했습니다. 가까운 지역교회 4곳과 먼 지역의 선교지 4곳으로 흩어져 다 양한 사역을 진행했는데, 주일예배 섬김부터 페인트칠과 청소 및 보수와 전도 활동, 그리고 각종 생필품과 물품 나눔 등 다채로운 섬김을 은혜가운데 잘 마 쳤습니다. 어느 성도님은 “태어나서 선교라는 것을 처음 접했는데 무척 가 슴이 벅찼다”고 고백하기도 했고, 어떤 성도는 “참 힘든 이민생활을 하며

60

우울하고 낙심이 됐었는데 이번 선교로 생각이 바뀌고 마음속에서 샘솟는 힘

을 경험했다”고 간증했습니다. 무엇보다 감사한 것은 한 주일을 쉬고 본 교

회가 아닌 각자의 선교지에 주일헌금과 선교비를 후원하고 돌아왔는데 그 금

액이 평상시 주일헌금의 5배나 드려졌다는 점이었습니다. 선교와 섬김은 하

나님이 하신다는 걸 온 교회가 다시 한 번 체감하는 시간이었습니다.

예수인교회는 사도행전에 등장하는 신약교회를 모델로, 성경적 공동체를 지 향하고 있습니다.

밸리지역에 설립된 지 8년밖에 안 됐지만, 현재 건강한 중형교회로 성장하고

있는 선교적 교회입니다. 특히 세상 문화와 매스미디어 앞에 무너져가는 다음

세대를 세우기 위해 교육부와 유스에서는 매주 다양한 훈련과 신앙모임을 진

행하고 있습니다. 그리고 청장년들을 위한 예배로는 주일예배, 새벽예배, 목

장예배가 매주 드려지고 있으며, 훈련으로는 성경통독과 다양한 강좌 및 신앙

활동들이 진행 중입니다.

자세한 교회의 광고와 내용은 http://www.cmc-12.com 을 참조바라며, 현재 예수인교회의 주일예배는 교육부(11:30AM), 유스(11:30AM) 청장년 (9:30/11:30)으로 나눠져 진행되고 있으며, 실시간 온라인 예배와 영어권 가 족을 위한 통역서비스가 제공됩니다. 온라인 예배에 참여하실 분은 매주일 11:30AM에 유튜브채널(Yesuin Church)을 검색 후 참여 하실 수 있습니다. 교회 주소는 7855 Lindley Ave, Reseda CA 91344 전화 818-220-9826, www.cmc-12.com 입니다.

61 Religion 구원의
곧 하나님의
투구와 성령의 검
말씀을 가지라 - 에베소서 6:17 -
62 Religion

공감은 인류 생존의 열쇠로 인간을 집단으로 만드는데 공감과 소통은 필수요 인 입니다.

공감은 ‘친절함’이란 기초에 세운 공존의 집으로 무력한 아기도 살아남도 록 합니다.

인류의 역사를 ‘약육강식’, ‘적자생존’ 이라는 원리로 해석하여 제국주 의 침략을 합리화하고, 자본주의 승자 독식 원리를 뒷받침하면서 경쟁과 차별 을 부추기고 있습니다. 그런데 인간만큼 다정하고 협력적인 종은 없다고 합니

다. 심리학자인 자밀 자키 미국 스탠퍼드대 교수는 “공감은 다른 사람이 어

떻게 느끼는지 알고(인지적 공감), 그의 감정을 함께 느끼면서(정서적 공감),

그를 돕고 싶은 마음이 생기는(공감적 배려) 통합된 과정으로, 사람 간의 거리

를 뛰어넘게 하는 일종의 정신적 초능력” 이라고 했습니다. 그는 <공감은 지

능이다>라는 책에서 신경과학이 밝힌 더 나은 삶을 위한 기술이 공감이라고

말합니다. 자연스럽게 내면에서 우러나오는 동정이나 연민을 넘어 다른 사람 의 감정이나 경험을 이해하는 능력인 공감은 기질보다는 기술이 더 필요하다 고 합니다.

공감능력을 높이려면 첫째 자기중심적 사고에서 벗어나야 한다고 합니다. 피

아제는 공감능력에 대하여 이렇게 설명했습니다. 공감능력의 발달을 아동의

자기중심적(egocentric)인 사고가 탈 중심적(decentering)인 사고로 전환하면 서 발달한다.

둘째는 독선적 행동에서 벗어나야 한다. 피아제의 후계자들은 공감을 설명하

면서 탈중심적 사고 개념에서 한 걸음 더 나아가 '역할채택기능 (role-taking skill)' 이라는 말을 만들었습니다. 여기서 역할채택은 자기중심적 입장에서

단순히 다른 사람의 역할을 해본다는 의미가 아닙니다.

상대방의 지각적 경험이나 활동을 추론하고, 그 사람의 입장과 관점에 서

서 역할을 해본다는 보다 타인지향적인 차원에서의 '역할 채택' 입니다. 이를

관점 채택 (perspective taking) 또는 관점에 대한 역할 채택 (role-taking perspective) 이라고 합니다.

시어머니는 며느리의 역할을 해보고 며느리는 시어머니의 역할을 해 봄으로

공감능력은 확장될 수 있습니다.

셋째는 관계의 회복으로 정서의 소통을 원활하게 해야 한다고 합니다. 관계가

단절되면 어떤 경우도 공감하지 못합니다. 적은 적일뿐입니다. "팔은 안으로

굽는다.", "가제는 게 편", "피는 물보다 진하다" 등과 같은 속담처럼 내편이 될

때 정서적으로 공감합니다.

게겐은 통신 판매원이 전화를 하여 냉동 제품을 배달하는 사람이 그의 집에

직접 방문해도 좋을지 물었습니다. 그 통신 판매원은 잠재 고객에 대한 서류

를 가지고 있어 자신의 이름을 상대방과 동일한 이름으로 소개했습니다. 동일

한 조건에서 단지 이름이 같다는 이유 하나로 이름이 같지 않은 경우보다 4배

가까이 많은 사람들이 자신의 집을 방문할 것을 승낙했다고 합니다.

어머니의 심리적인 상태는 탯줄을 통해 유아에게 전달되기 때문에 유아도 어 머니의 정서에 공감하는 것입니다. 이런 현상을 학자들은 원천적인 '정서 감 염(emotion contagion)이라고 부릅니다. 정상적 관계가 형성되면 공감적으 로 듣게 되고 관계가 친밀할수록 공감적 정서는 더 높아집니다. 홀로 살기에 도 힘든 세상이라고 하지만 공감하고 사는 세상이 아름답고, 유익하며, 유쾌 하고, 편합니다.

“그러므로 그가 범사에 형제들과 같이 되심이 마땅하도다 이는 하나님의 일 에 자비하고 신실한 대제사장이 되어 백성의 죄를 속량하려 하심이라” (히 2:17) 예수님은 인간과 공감하기 위해 이 땅에 오셨습니다. 그리고 인간들의 죄를 대속하기 위해 십자가를 지셨습니다. 예수님의 공감하심이 복음입니다.

63 Religion
‘ 공감하기 ’

<오늘의 역사> 9월 9일 그날의 역사를 아시는지요?

1938년 9월 9일이 무슨 날인지 아시는지요?

잊지 말고 기억해야 할 날입니다. 부끄러운 날이요 수치의 날이요 신앙의 지 조를 포기한 날입니다.

저는 [무인(戊寅) 굴복의 날]이라 칭하고 싶습니다.

[동방요배] 일본의 천황이 살고 있는 동쪽을 향하여 절하는 의식입니다.

[신사참배] 일본의 민간 종교인 신도의 사원으로 왕실의 조상신이나 국가의

유공자(전범)들을 모셔 놓은 신당을 향하여 참배하는 의식입니다.

위의 두 가지를 하나님의 교회가 정식으로 가결하여 참배하도록 결의한 날입 니다.

① 언제?

1938년 9월9일-10일

② 누가?

조선 예수교 장로교 27회 총회에서 193명의 총회 대표가

③ 어디에서?

평양 서문외 예배당

④ 무엇을?

신사참배를 결의한 날입니다

이미 예배당 내외에는 일본 순사들이 쫙 깔렸고 목사 총대 하나에 두명의 순

사들이 양 옆에 끼고 앉았습니다. 그리고 뒷좌석에는 100여명의 무술 경관들

이 진을 치고 앉았습니다.

분위기는 험악했고 어두움에 눌려 있었습니다.

신사참배에 대한 [긴급동의안]이 제출됐고 각본대로 동의와 재청을 받았습니다.

긴장된 분위기에서 총회장이 물었습니다.

[가] 하시면 [예]하세요. 몇 사람이 모기 목소리로 [예]했습니다.

총회장은 또 물었어야 합니다. [아니]면 [아니요] 라고 답하시오 그런데 묻지를 않고 그냥 만장일치로 통과되었음을 선포한 것입니다. [아니요]를 기다렸던 선교사 방위량(W. N. Blair)과 브루스 헌터((Bruce F. Hunt)가 [아니요]를 외치면서 이것은 불법이라고 말하는 순간 순사들에 의해 서 양팔을 잡힌 채 퇴장당하게 됩니다.

이미 신사참배를 적극 반대하신 주기철 목사, 이기선 목사, 그리고 김선두 목 사, 채정민 목사는 사전에 구금을 당한 상황이었고 험악한 분위기 속에서 각

본대로 통과를 시킨 날이 바로 오늘이었습니다.

조선 예수교 장로교 27회 총회가 38년 9월 9일 개최하였고 10일날 신사참배 의 가결을 선포한 날이었습니다.

이런 함악한 분위기에 위축받지 말았어야 했습니다.

불의의 세력 앞에서 굴하지 말았어야 했습니다.

이때 몇 분의 목사님이 순교의 피를 흘릴 각오를 했어야 했습니다.

굴복당하지 않는 교회의 모습을 세계의 모든 교회와 세상 사람들에게 보여 주었어야 했습니다.

악을 이겨내고 불의를 의로 승리하고 있음을 선포했어야 했습니다.

순교를 피를 흘림으로 한국 교회가 순교의 신앙을 지켜내고 있음을 보여 주 었어야 했습니다. 그렸게만 했다면 전 세계의 교회가 더 많이 한국 교회를 위

하여 기도하며 많은 관심과 격려를 보내왔을 것이며 평양의 영광은 계속 될

것이며 조선 반도에 대한 하나님의 새로운 경륜이 나타났을 것입니다.

그런데 그날 굴복당하고 말았습니다. 그날 한국 교회는 영적인 맥이 끊겼고 하나님의 영광이 떠났고 동방의 예루살렘이라고 하는 경이로운 도시 평양이 무너지게 된 것입니다.

그로부터 딱 10년후 1948년 9월 9일 바로 평양의 그 장소에서 [조선민주주의 인민공화국]이 건국하게 됩니다.

신사참배를 허락한 그 평양은 하나님의 영광이 사라지고 북한의 3천여개의

eligion
R
64

교회는 완전히 폐쇄되고 공산주의 국가 무신론의 국가가 그 자리에 들어선 것

이었습니다. 6.25의 전란을 통해서 하나님의 촛대는 평양에서 서울로 옮기게

된 것입니다.

잊지 말아야 합니다.

38년 9월 9일 그날을 잊지 말아야 합니다.

우리의 신앙을 굴복시키려고 하는 어떤 세력이 다가올지라도 순교자의 신앙

으로 이겨나가고 헤쳐나가고 뚫고 나가야 합니다.

마지막까지 신사참배를 거부하고 47세의 일기로 순교한 주기철 목사님은 이

렇게 고백합니다. [칼날이 나를 기다리고 있는 한 내가 그 칼날을 향하여

나아가리이다. 내 앞에는 오직 일사 각오의 길만 있을 뿐입니다.]

그날에 가서는 늦을 수 있습니다. 당할 수가 있습니다.

오늘 지금 여기에서부터 일사 각오의 신앙으로 다짐하고 다져져야 합니다. 기

도함으로 영적으로 무장해야 합니다.

오늘부터 해야 합니다. 지금부터 해야 합니다.

바로 오늘 9월9일

그날의 역사를 되새기며 교훈을 삼아야 할 날입니다.

[또 너희가 내 이름으로 말미암아 모든 사람에게

미움을 받을 것이나 끝까지 견디는자는 구원을 얻으리라](마10:22)

그대의 모습이 아름다운 것은

꽃은

스스로 아름답다

말 안 해도

그냥 아름답습니다.

진실은

외침이 없고

들레 임이 없어도

그냥 참입니다.

구태여

꾸미러 아니해도

드러내지 아니해도

그냥 그대로 가

얼마나 아름다운지요!

덧칠하거나

화장하지 않은

속살 그대로

내어 보이는

순수한

그대의 모습이

사랑스러운 것은

그 모습

그대로 가

아름다움이고

진실이기 때문입니다.

[ 시작 (詩作) 노트 ]

신앙의 껍질 속에서

인간성을 상실한 그런 세대 속에서

참 좋아지는 사람이 있습니다.

그 사람에게서 느껴지는 느낌은

진실이었습니다.

그러기에 순수하게 다가가게

해주는 그런 사람이었습니다.

구태여 꾸미지 아니해도

드려내 보이려고 하지 않아도

덧칠하거나 화장하지 아니해도

속살 그대로 내어 보이는

그 모습이 왜 이리 아름다운지요.

사랑합니다.

그대의 그 모습, 그대로를

Religion 65
백 동 흠

무료 게시판

-풀(POOL) 청소권 매매/매입 하실 분을 찾습

니다.: 밸리 45개(4배) 20개(3배), 수영장 깨끗히 관리

합니다. SHALOM POOL SERVICE : 818-606-3551

구인 / 구직

-교사 & 보조교사 구함: 스몰월드 (818) 363-3684

-식당에서 일하실 분: 주방 헬퍼, 캐셔 & 반찬 서버, 갤 러리아 푸드코트 내 K-Foods 식당, (818) 795-6387

-스시식당에서 일하실 분:따우전옥스 지역, 스시셰프, 웨이츄레스, 주방에서 일할 분 구함 (805)433-4350

-예배 반주자 구함 : 부르신교회 (213)760-2580

이메일 jheartkim@gmail.com

-웨이츄레스 구함: 초은 식당 (818) 708-0099

-사역자 구함: 유스, 청년담당사역, 밸리연합감리교회, (213) 369-5423

-식사 준비 해주실 분: 일주일에 한두 번 식사 준비해

주실 분(음식 만드실 분), Mrs. 박 (310) 405-1113

-세탁소 파트타임: 버뱅크 지역, 오후 파트타임(3시~7 시), (818) 808-2220, (818) 842-5246

-한미의료기구: 오피스에서 일할분, 영어. 컴퓨터 가

능하신분, (213) 760-0202

-텔러 구함: 파트타임, 풀타임 가능, 유무경험자, 한

미은행 밴나이스 지점 (818) 779-3125

-오피스 일 하실 분: 파트타임 or 풀타임, 영어 필수 (818) 982-1188

-프리스쿨 교사: 하이 페이 (661) 755-1060

-CSUN 대학교내 푸드 코트: 스시코너에서 스시롤 만드실분, 오전 7시 또는 8시부터 오후 1시정도이며 협의 가능, 스시롤 만들고 프렙과 정리 정돈, 오전 세 컨잡이나 파트타임 필요하신분 환영 (818) 462-1999

-소셜워커: Part-time 으로 일하실수 있는분, 시간당 $50, (818) 633-0750

-식당 구인: 주방장 또는 보조, 웨이츄레스, 유경험자 우대, 밸리 그린랜드 마켓 5분거리, (818) 217-6670, (818) 943-2172

-스킨케어, 네일하실 분: 스테이션 렌트 또는 커미션, 밴나이스 지역, 아트 오브 헤어 (818) 263-0216

-여행사 프리랜서 구함 : 자택근무, 경험자 우대, (213) 595-2056, 지니 박

-사업을 같이 할 파트너 & 비서 : 재정관리 등도 배 우고 미래를 설계하며 사업을 같이 할 분, Mrs. Lee (213) 999-3635

-치과 프론트에서 일하실분: 라크레센터 지역, 크레 센트 치과, (213) 598-0606

-프리스쿨 교사 구합니다: High Pay, (661) 755-1060

-한의원에서 사무직 리셉션: 그라나다 힐스 지역, 팟

타임 풀 타임 /영어 한국어 가능하신 분, newhopeacu@ yahoo.com, 경험자 우대, (323) 919-1100-Full Time 교

사: 영어 수업 가능하면 더욱 환영, (818) 357-8622

-주방에서 일하실분: 노스리지 식도락, 유무경험자 환 영 (818) 832-7080-식당에서 일하실 분: 주방에서. 일 할사람. 유경험자 모집, 문의 (818) 708-0099

-약국에서 일하실분: Clerk, 테크니션 경험 있으신 분, 팟타임, (818) 832-2759

-광고 매니저 겸 병원장 어시스턴트: 시미 밸리에 있는 동물 병원, 사진/비디오 편집 가능, 팀워크 좋은 분, 유경험자 우대, Fluent in english, info@rsvet.com 으로 이력서와 cover letter를 보내 주시기 바랍니다.

-터마이트 회사 오피스직원 구함: 영어필수, 터마 이트 회사나 오피스에서 일해보신 경험자, 하이드렉스 (818)355-2977

렌트 / 중고품, 사업체매매

-게스트 하우스 렌트 : 리시다 & 리날디 북서쪽, 싱글 룸(방, 부엌, 화장실, 샤워, 벽장), 출입문 따로(숲속의 작 은 집), 프라이버시 100%, 유틸 포함 $990/월, (818) 3216115

-방 렌트: CSUN, 갤러리아 마켓 5분 거리, 잠만 주무실 분, (818) 217-4092

-방 렌트: CSUN, 갤러리아 마켓 5분 거리, 잠만 주무실 분, (818) 360-8649

66

-방 렌트: CSUN 5분 거리, 욕실, $750/월, (818) 700-8282

-방렌트 : 그라나다 힐 FWY 118 북쪽 주택가. 놀우드

골프장 근처. 방 1 또는 2 렌트 가능. 별도의 출입구. 주인과 마주칠 일 없음. 세탁기, 건조기, WiFi 와 모든

유틸리티 포함 월 $700. 여성분 환영. 213-703-8678, 818-618-3280

-팝니다: 시미밸리 담배가게, 순익: $5천, 가격: $18만 (재고 포함), (213) 915-9970

-방 렌트: 리날디와 405 fwy 근처, 방 하나 쓰시는 남자 학생이나 남자 직장인분, $750/월 (utility 포함), (818) 299-0481

-방 렌트: 갤러리아 마켓 5분 거리, 잠만 주무실 분, $750/월(유틸 포함), (818) 360-8649

-방 렌트: CSUN, 갤러리아 마켓 5분거리, 잠만 주무

실 분, $750(유틸 포함), (818) 217-4092

-방 렌트: 미션힐스. 여자분 환영, 유틸리티 포함 월

$500, (818) 357-9564

-방 렌트: Reseda 지역, C-SUN 5분거리, 침대, 책상, 세탁기, 인터넷, 간단한 취사 가능, 가족같이 지내실분

$600/월, (818) 561-8685

-렌트: 방3, 화3, 그라나다힐스, 리모델, 세탁기, 드라 이기, 냉장고 새것 완비, 118Fwy 가깝고 마켓, 주유소 등 편리한 지역, $3200/월, (818) 926-7120

-렌트: 그라나다 힐스, 방2, 화1, 부엌, 리빙룸, 출입문

따로, $2000/월, (818) 523-4632

-방 렌트: 조용하고 깨끗한 방, 노스힐스 지역, 직장 인, 학생, 여자분 환영, (213) 792-3494

-스페이스 렌트: 500sf. 화요일, 수요일 서브리스 하실 분, 213-216-0006, 818-727-1000

-팝니다: 포터블 에어컨, 새것, $198, (213) 408-5388

-물가게 팝니다: 성업중인 물가게 20년 운영 은퇴 로 인하여 팝니다. 카노가팍 지역, 넓은 파킹랏, 연매출 $96,000, 넷인컴 월$36,000, 가격:$6만,818-437-6241

커뮤니티 안내

-밸리 테니스 모임: 매주 화, 목, 일(7-10pm), 시미밸리, 그 라나다 힐스 지역, 중급 이상의 실력자 Don An (818) 298-8226

-노래교실 : 노래를 배우고. 즐겁게 노래하고 싶은신분 누구 나 환영, 신곡이나 배우고 싶은 곡 또는 부르고 싶은 곡을 완 전히 자기 노래로 소화 시켜 드립니다. 213-216-0006, 818-727-1000

-여행 동호회원 : 국내외 여행 및 캠핑, 55세 이상(시니어), 샌퍼난도 밸리 지역 및 근교 지역, (818) 808-5387 Jay

-싱글 모임: (818) 668-0754

-낚시 동호회: 낚시를 즐기고 싶은 분 누구나 환영, 민 물낚시, 배타고 도미낚시 등 함께 즐겁게 낚시를 즐기세요, (818) 831-9658 Mr. Lee

-새 족구 회원 모집: 지역 : 밸리, 라크라센타, 선랜드, 버뱅크, 글렌데일, 장소 : ANC온누리 교회 체육관, 매주 월요 일 저녁 7:30~10:30, (714) 824-1006

-목요일에 골프치실분 모집을 합니다 : (626) 993-5288

-화요골프사랑 회원모집 : 골프사랑하시는 분들 초대합 니다. Chong (626) 993-5288 (LA-Valley 지역)

-테니스 동호인모집: 밸리 테니스 클럽에서 USTA 4.0 이상 되시는 테니스 동호인 모집합니다. 문의) 필립 정 (818) 456-7737

-사진강좌 및 사진 동호회 :밸리지역(213) 793-5500

-밸리 7080 음악동호회 회원모집 : 기타와 노래에 취미 있으신 분 환영, 다름 악기도 좋음, 모임장소: 나성 북부 교회, 시간: 매주 토요일 10시반-12시반, (213) 500-3689

-골프친선모임 : Chon (323) 369-6018

-바둑즐기실 분: 또는 배우실 분 환영, 점심식사 제공 (818) 746-6088 -동호회원 모집: 뜨개질, 퀼트, 그림, 꽃꽂이, 하이킹, 합 창, 생활영어 등 다양한 클래스,문의: Grace Seo (661) 3739647, graceandboys@yahoo.com

- 밸리 테니스 동호회 모임: 매주 토, 일 오전 7시-9시

반 까지, 실마 El Cariso Reginal Park 테니스코트, 중급이상 실력으로 주말 아침 운동하실분 (818) 321-9561 Chan Shin

valleymagazine@gmail.com

67

Turn static files into dynamic content formats.

Create a flipbook
Issuu converts static files into: digital portfolios, online yearbooks, online catalogs, digital photo albums and more. Sign up and create your flipbook.