*๋ฐธ๋ฆฌ๋งค๊ฑฐ์ง์์ ์ ์ํ ๋ชจ๋ ๊ด๊ณ ๋์์ธ์ ๋ฐธ๋ฆฌ๋งค๊ฑฐ์ง์ Written Permission์์ด ์ด๋ ํ ์ฉ๋๋ก๋ ๋ค๋ฅธ๊ณณ์ ๋ฌด๋จ์ผ๋ก ์ฌ์ฉ๋ ์ ์์ต๋๋ค.
*๋ฐธ๋ฆฌ๋งค๊ฑฐ์ง์ ๊ฒ์ฌ๋ ๋ชจ๋ ๊ด๊ณ ๋ ๊ด๊ณ ์ฃผ์ ์์ฒญ๋๋ก ๊ฒ์ฌํ ๊ฒ์ด๋ฏ๋ก ๋ด์ฉ์
์ง์ ์ฌ๋ถ์ ๋ํด ๋ณธ์ฌ๊ฐ ์ฑ
์์ง์ง ์์ต๋๋ค.
*๋ฐธ๋ฆฌ๋งค๊ฑฐ์ง์ ๋ฌธ์ ์ฑ์๋ ๊ด๊ณ ๋ ๊ธฐ์ฌ ๊ฒ์ฌ๋ฅผ ๊ฑฐ๋ถํ ์ ์์ต๋๋ค.
Northern LA Media, Inc. Valley Magazine
P.O. BOX 372382, Reseda, CA 91337 valleymagazine@gmail.com www.valleymagazine.us
CONTENTS
- ํจ๊ป ๋ง๋์ ๋ถ๋ค -
๋ฐฑ๋ํ ํ๋ง๊ตํ ๋ด์๋ชฉ์ฌ
๋ฒจ์ ์๋ ์คํ๋์ค ์์ฅ
์ค๋ก ์ค ๋ณํธ์ฌ
์ํผ์ ์ ๋ถ๋์ฐ
์์ ๊น ๋ฒ ์คํธ๋ถ๋์ฐ๋ํ
์จ๋ฒํธ ์ค ๋ก์ ์๋์ผ์ด์
๋๋ ํฐ
์ค๋ฏธ์ ๋ก์ฆ๋ชฌํธ ์น๊ณผ์์ฅ
์ด์ค์ฐ ๋ฐธ๋ฆฌ์ปค๋ฎค๋ํฐ๊ตํ ๋ด์๋ชฉ์ฌ
์ด์ฒ ์๊ฐ๋์ ์ฅ๋ก๊ตํ ๋ด์๋ชฉ์ฌ
์ดํ์ฃผ ๋ณดํ
John Yang ์ฅ์คํผ๋ํ์์์ฅ
์กฐ์ค ํ ๋ณดํ
์ง์๋ฌธ ๋
์
www.valleymagazine.us
๊ด๊ณ ๋ฌธ์ : 818. 439. 9289 / valleymagazine@gmail.com
Publisher: Brian Hong Editor in Chief: Eunice Hong
๋ค์ํ ๋นํ๋ฏผ๊ณผ ๋ฏธ๋ค๋๋ก ๊ท ํ ์กํ ์๋จ์ ์ ๋ฐ์ ์ธ ๊ฑด๊ฐ์ ํ์์ ์ผ
๋ฟ๋ง ์๋๋ผ ๊ฑด๊ฐํ๊ฒ ๋์ด๋ฅผ ๋จน๋ ๋ฐ๋ ์ค์ํ๋ค. ๋
ธํ์ ๋ํ ํ ๋
ผ๋ฌธ
์ ๋ฐ๋ฅด๋ฉด, ์๋์ด๋ค์ ๋นํ๋ฏผ ์ญ์ทจ๋์ด ๋ถ์กฑํ ์ํ์ด ๋ ๋๊ธฐ ๋๋ฌธ์ ํน
ํ ๊ทธ๋ ๋ค. ์๋จ์๋ ์ผ๋ฐ์ ์ผ๋ก ํ์ํ ๋นํ๋ฏผ๊ณผ ๋ฏธ๋ค๋์ด ๋๋ถ๋ถ ํฌํจ
๋์ด ์์ง๋ง, ์์ฌ๋ ํน์ ๊ฑด๊ฐ ์ํ, ์ฝ๋ฌผ ๋๋ ์์ด ์ ํ์ผ๋ก ์ธํ ๊ฒฐํ
์ ํด์ํ๋ ๋ฐ ๋์์ด ๋๋ ๋ณด์ถฉ์ ๋ฅผ ๊ถ์ฅํ ์ ์๋ค. ์ด๋ฅผ ์ผ๋์ ๋๊ณ , ์ ์ฒด์ ํ์ํ ์์์๋ฅผ ์ญ์ทจํ๊ณ ์๋์ง ํ์ธํ๊ธฐ ์ํด ๋ณด์ถฉ์ ๋ฅผ ๋ณต์ฉ
ํ๊ธฐ ์ ์ ํญ์ ์์ฌ์ ์์ํด์ผ ํ๋ค. ๋
ธํ์ ๊ฐ์ฅ ์ข์ ๋นํ๋ฏผ๊ณผ ๋ฏธ๋ค๋
์ ๋ํด ์์ธํ ์์๋ณด๊ธฐ ์ํด ์ ๋ฌธ๊ฐ์๊ฒ ์กฐ์ธ์ ๋ค์ด๋ณด๋ค.
โ
๋ง๊ทธ๋ค์
๋ง๊ทธ๋ค์์ ์ ์ฒด์์ ์ฌ๋ฌ ๊ฐ์ง ์ฃผ์ ๊ธฐ๋ฅ์ ์ ๊ณตํ๋ ๋ฏธ๋ค๋์ด๋ค. ๊ทผ์ก
์ ๊ฐํ๊ฒ ์ ์งํ๊ณ , ํ๋น ์์น๋ฅผ ์กฐ์ ํ๋ฉฐ, ์ฌ์ฅ ๊ฑด๊ฐ์ ๊ธฐ์ฌํ๋ค. ํตํฉ
์ํ ์ ๋ฌธ์์ธ ์ ์ด์ฝฅ ํ
์ดํ
๋ฐ์ ๋ฐ์ฌ๋ "๋ง๊ทธ๋ค์์ ์ ์ฒด์ 300๊ฐ์ง
์ด์์ ๋ฐ์์ ํ์์ ์
๋๋ค."๋ผ๊ณ ๋งํ๋ค. ๊ทธ๋ ๊ฐ๊ณต๋์ง ์์ ์์์๋
๋งค์ผ ์ฝ 600mg์ ๋ง๊ทธ๋ค์์ด ๋ค์ด ์์ง๋ง, ๊ฐ๊ณต ํ ํ๊ท ์ ์ธ ๋ฏธ๊ตญ์ธ์ ์
๋จ์๋ 250mg ๋ฏธ๋ง์ ๋ง๊ทธ๋ค์์ด ๋ค์ด ์๋ค๊ณ ๋งํ์ต๋๋ค. ์ฐธ๊ณ ๋ก, ์ฑ์ธ
๋จ์ฑ์ ๊ฒฝ์ฐ ๊ถ์ฅ๋๋ ์ผ์ผ ๋ง๊ทธ๋ค์ ์ญ์ทจ๋์ 400~420mg, ์ฌ์ฑ์ ๊ฒฝ์ฐ 310~320mg์ด์ง๋ง, ์์ ์ค์ด๊ฑฐ๋ ๋ชจ์ ์์ ์ค์ธ ์ฌ์ฑ์๊ฒ๋ ๋ ๋ง์ ์
์ด ํ์ํ๋ค. ํ
์ดํ
๋ฐ์ ๋ฐ์ฌ๋ ๋ง๊ทธ๋ค์์ด ๋ถ์กฑํ๋ฉด ๋์ฌ ์ฆํ๊ตฐ์ ์ ํ์ด ์ฆ๊ฐํ ์ ์๋ค๊ณ ๊ฒฝ๊ณ ํ๋ค. ์ด๋ ์ฌ์ฅ๋ง๋น, ๋์กธ์ค ๋ฐ ์น๋งค๋ก ์ด์ด ์ง ์ ์๋ค. ์ถฉ๋ถํ ๋ง๊ทธ๋ค์์ ์ญ์ทจํ์ง ๋ชปํ๋ฉด ์ง์น๊ฑฐ๋ ๊ด๋ฒ์ํ ๊ทผ์ก ํต์ ๊ฒฝํํ ์๋ ์๋ค. ๋ง๊ทธ๋ค์์ ๋ค์ํ ์ฌ๋ฃ์์ ์ฐพ์ ์ ์๋ค. ์คํฌ
์ธ ๋ฐ ์ด๋ ์ ๋ฌธ์์ธ ํผํฐ ๋ธ๋ฃจํฌ๋ ๋ฐ์ฌ๋ ๊ฒฌ๊ณผ๋ฅ, ์จ์, ํต๊ณก๋ฌผ ๋ฐ ์๊ธ
์น์ ๊ฐ์ ์์ด ๋ง์ ๋
น์ ์ฑ์์์ ๋ง๊ทธ๋ค์์ ์ฐพ์ ์ ์๋ค๊ณ ๋งํ๋ค.
๋ง์๋ ์์์ผ๋ก, ๋คํฌ ์ด์ฝ๋ฆฟ์์๋ ๋ง๊ทธ๋ค์์ ์ป์ ์ ์๋ค. "์ผ๋ถ ์
๋์ด๋ค์ด๋ ํน์ ์ฝ๋ฌผ(์ด๋จ์ ๋ ์ฐ์ฑ ์ญ๋ฅ ์น๋ฃ์ ๋ฑ)์ ๋ณต์ฉํ๋ ์ฌ๋์
์๋จ์์ ์ถฉ๋ถํ ๋ง๊ทธ๋ค์์ ์ญ์ทจํ์ง ๋ชปํ ์ ์์ผ๋ฉฐ ๋ณด์ถฉ์ ๊ฐ ํ์ํ ์ ์์ต๋๋ค. ๊ทธ๋ฌ๋ ๋ง๊ทธ๋ค์์ ๋๋ฌด ๋ง์ด ์ญ์ทจํ๋ฉด ์์ฅ ๋ฌธ์ ๊ฐ ๋ฐ์ํ ์ ์์ผ๋ฏ๋ก ์กฐ์ฌํ์ธ์."๋ผ๊ณ ๊ทธ๋ ๋งํ๋ค.
โ ๋นํ๋ฏผ B
๋์ด๊ฐ ๋ค๋ฉด์ ๊ฑด๊ฐ์ ์ ์งํ๋ ค๋ฉด B12์ ์ฝ์ฐ์ ํฌํจํ ๋ค์ํ B ๋นํ๋ฏผ ๋ ํ์ํ๋ค. ๋นํ๋ฏผ B-12๋ ์ฝ์ฐ๊ณผ ํจ๊ป ์์ฉํ์ฌ ์ ์ฒด๊ฐ ํ์ก ์ธํฌ์ ์ ๊ฒฝ ์ธํฌ๋ฅผ ํฌํจํ ์๋ก์ด ์ธํฌ๋ฅผ ๋ง๋๋ ๋ฐ ๋์์ด ๋๋ค.
์ผ๋ฐ์ ์ผ๋ก ๋์ด๊ฐ ๋ค๋ฉด์ B12๊ฐ ๋ ๋ง์ด ํ์ํ์ง ์์ง๋ง ๋์ด๊ฐ ๋ค๋ฉด ์ ์ฒด๊ฐ ์ด๋ฅผ ์ ํก์ํ ์ ์๋ค. ๋ธ๋ฃจํฌ๋ ๋ฐ์ฌ๋ "์์์ ์ฐ์ด ์ ๊ฒ ์์ฑ ๋๊ณ ์ด ์ฐ์ ์์์์ ๋นํ๋ฏผ์ ์ ์ฒด๋ก ํก์ํ๋ ๋ฐ ํ์ํ๊ธฐ ๋๋ฌธ"์ด๋ผ
๊ณ ๋งํ๋ค.
ํ
์ดํ
๋ฐ์ ๋ฐ์ฌ๋ ๋นํ๋ฏผ B๊ฐ ์๋์ง ์์ฐ์ ํ์์ ์ด๋ฉฐ ์ต์ ์์ค์ด ์
๋๋ฉด ๊ฑด๊ฐ์ ์ํฅ์ ๋ฏธ์น ์ ์๋ค๊ณ ๋งํ๋ค. ๊ทธ๋ ๋นํ๋ฏผ B ๊ฒฐํ์ด "์น๋งค
(ํนํ ์ฝ์ฐ)์ ํ์ ํ ์ฆ๊ฐ์ ์ฌ์ฅ๋ง๋น ๋ฐ ๋์กธ์ค(ํนํ ํธ๋ชจ์์คํ
์ธ ์์น
๊ฐ ๋์ ์ฌ๋)์ ์ํ ์ฆ๊ฐ"์ ๊ด๋ จ์ด ์๋ค๊ณ ๊ฒฝ๊ณ ํ๋ค. ๋นํ๋ฏผ B12 ๊ฒฐํ
์ ์ฆ์์๋ ํ์ฝํจ์ด๋ ๊ท ํ ๊ฐ๊ฐ ์ ํ, ์์ ๋ถ์ง, ์๊ณผ ๋ฐ์ ๋ง๋น ๋ฐ ๋ฐ
๋๊ฑฐ๋ฆผ์ด ํฌํจ๋๋ค.
๋นํ๋ฏผ B12๋ ๊ณ ๊ธฐ, ์์ , ๊ณ๋๊ณผ ๊ฐ์ ๋๋ฌผ์ฑ ๋จ๋ฐฑ์ง์์ ๋ฐ๊ฒฌ๋๋ค. ๋ธ
๋ฃจํฌ๋ ๋ฐ์ฌ๋ ์ด๋ฌํ ์์์ ๋จน์ง ์์ผ๋ฉด ์๋ฆฌ์ผ๊ณผ ๋นํ๋ฏผ B12๊ฐ ์ถ๊ฐ
๋ ์์ ํจ๋ชจ์ ๊ฐ์ ์์์ ์ญ์ทจํ๋ ๊ฒ์ด ์ข๋ค๊ณ ๋งํ๋ค. ๊ทธ๋ "๋
ธ์ธ, ํน
ํ ํน์ ์์ฅ ๋ฌธ์ ๊ฐ ์๊ฑฐ๋ ์์ฐ์ ๋ฎ์ถ๋ ์ฝ์ ๋ณต์ฉํ๋ ์ฌ๋์ ๋นํ๋ฏผ
B12 ๋ณด์ถฉ์ ๋ฅผ ๋ณต์ฉํด์ผ ํ ์๋ ์์ต๋๋ค."๋ผ๊ณ ์ค๋ช
ํ๋ค. ๋ด์์์ ๊ณต์ธ
์์์ฌ์ด์ ๋น๋จ๋ณ ๊ต์ก์์ธ ์๋ฉ๋ฆฌ์ ํฐ ๋ฐ์ฌ๋ ์ค๋ฉํ๋ผ์กธ์ด๋ ๋ฉํธํฌ
๋ฅด๋ฏผ๊ณผ ๊ฐ์ด ๋นํ๋ฏผ B12 ํก์๋ฅผ ์ฐจ๋จํ๋ ์ฝ์ ๋ณต์ฉํ๋ ์ฌ๋๋ ๋นํ๋ฏผ
B12 ๋ณด์ถฉ์ ๊ฐ ํ์ํ ์ ์๋ค๊ณ ๋ง๋ถ์๋ค.
โ ์นผ์
๊ตญ๋ฆฝ๋
ธํ์ฐ๊ตฌ์๋ ์นผ์์ด ๋ผ ์์ค ์ํ์ด ์๋ ๋
ธ์ธ์๊ฒ ํนํ ์ค์ํ๋ค
๊ณ ๋งํ๋ค. ์ฐ๊ตฌ์๋ 51~70์ธ ๋จ์ฑ์ ๊ฒฝ์ฐ ํ๋ฃจ 1,000mg, 71์ธ ์ด์ ๋จ์ฑ
์ ๊ฒฝ์ฐ ํ๋ฃจ 1,200mg์ ๊ถ์ฅํ๋ค. 51์ธ ์ด์ ์ฌ์ฑ์ ๊ฒฝ์ฐ ํ๋ฃจ 1,200mg
์ ์ญ์ทจํ๋ ๊ฒ์ด ์ข๋ค.
"์นผ์์ ๋ผ๋ฅผ ๊ฐํ๊ฒ ๋ง๋๋ ๊ฒ์ผ๋ก ์ ์๋ ค์ ธ ์์ง๋ง ๊ทผ์ก์ด ์ ๋๋ก ์๋ ํ๋ ๋ฐ๋ ์ค์ํฉ๋๋ค."๋ผ๊ณ ๋ธ๋ฃจํฌ๋ ๋ฐ์ฌ๋ ๋งํ๋ค. "๋์ด๊ฐ ๋ค์๋ก ์ ์ฒด๋ ์์์์ ์นผ์์ ๋ ์ญ์ทจํ๊ฒ ๋์ด ๋ผ๊ฐ ์ฝํด์ง ์ ์์ต๋๋ค." ์ฐ์ , ์๊ฑฐํธ, ์น์ฆ์ ๊ฐ์ ๊ณต๊ธ์์์ ์์ฐ์ค๋ฝ๊ฒ ์นผ์์ ์ญ์ทจํ ์ ์๋ค. ํ๋ฒ๋ T.H. Chan ๊ณต์ค๋ณด๊ฑด๋ํ์์ ์นผ์์ด ์ผ์ผ, ์ฐ์ด, ๋๋ถ, ์๋ชฌ๋, ์ ๊ธ์น์๋ ๋ค์ด ์๋ค๊ณ ๋งํ๋ค. ๋ณด์ถฉ์ ์ ๋ํด ๋ธ๋ฃจํฌ๋ ๋ฐ์ฌ๋ "๋ผ ๋ฌธ์ ์
๊ฑธ๋ฆด ์ํ์ด ์๊ฑฐ๋ ์์์์ ์ถฉ๋ถํ ์นผ์์ ์ญ์ทจํ์ง ๋ชปํ๋ ๊ฒฝ์ฐ ๋ณด์ถฉ
์ ๋ฅผ ๋ณต์ฉํ๋ ๊ฒ์ด ์ ์ฉํ ์ ์์ต๋๋ค. ๊ทธ๋ฌ๋ ์นผ์์ด ๋๋ฌด ๋ง์ผ๋ฉด ์ ์ฅ ๊ฒฐ์๊ณผ ๊ฐ์ ๋ค๋ฅธ ๋ฌธ์ ๊ฐ ๋ฐ์ํ ์ ์์ผ๋ฏ๋ก ๋จผ์ ์์ฌ์ ์์ํ์ธ์."๋ผ ๊ณ ๋งํ๋ค.
โ ๋นํ๋ฏผ D
๋นํ๋ฏผ D๋ ์ผ๋ฐ์ ์ผ๋ก ์ผ์ธ์ ์๋ ๊ฒ๋ง์ผ๋ก๋ ํผ๋ถ๋ฅผ ํตํด ํก์๋๊ธฐ ๋๋ฌธ์ ์ข
์ข
ํ๋น ๋นํ๋ฏผ์ด๋ผ๊ณ ๋ถ๋ฆฐ๋ค. ๊ทธ๋ฌ๋ ๊ฒจ์ธ์ฒ ์ ํ๋ฆฐ ๊ธฐํ์ ์ด ๊ฑฐ๋ ๋์ด๊ฐ ๋ค๋ฉด์ ์์ฐ ํ๋น์ ํผํ๋ค๋ฉด ์ถฉ๋ถํ ์ญ์ทจํ์ง ๋ชปํ ์ ์๋ค. ์ ์ฒด๋ ์นผ์์ ์ ๋๋ก ํก์ํ๊ธฐ ์ํด ๋นํ๋ฏผ D๊ฐ ํ์ํ๋ฏ๋ก ๋ผ ๊ฑด๊ฐ์ ์ค์ํ ์์์๋ค. ๋ธ๋ฃจํฌ๋ ๋ฐ์ฌ๋ ํ๋น ์ธ์๋ ์ฐ์ด์ ๊ณ ๋ฑ์ด์ ๊ฐ์ ์ง ๋ฐฉ์ด ๋ง์ ์์ , ๊ฐํ ์ฐ์ ๋ฐ ์๋ฆฌ์ผ์์ ๋นํ๋ฏผ D๋ฅผ ์ป์ ์ ์๋ค๊ณ ๋ง ํ๋ค. ๋ผ ์์ค์ด ์๊ฑฐ๋ ๊ณจ๋ค๊ณต์ฆ ์ํ์ด ์๋ ๊ฒฝ์ฐ ์์ฌ๊ฐ ๋ณด์ถฉ์ ๋ฅผ ๊ถ์ฅ ํ ์๋ ์๋ค. ํ
์ดํ
๋ฐ์ ๋ฐ์ฌ๋ ๋ผ ๊ฑด๊ฐ ์ธ์๋ ๋นํ๋ฏผ D๊ฐ ์ง๋ณ๊ณผ ์ธ์ฐ
๋ ๋ฐ ๋์์ด ๋ ์ ์๋ค๊ณ ๋งํ๋ค. ๊ทธ๋ "์ต์ ์ดํ์ ๋นํ๋ฏผ D๋ ์๊ฐ๋ฉด
์ญ ์ฆ๊ฐ, ์ค์ฆ ๊ฐ์ผ๋ณ ์ํ ์ฆ๊ฐ ๋ฐ ์ ์ํ ์ฆ๊ฐ์ ๊ด๋ จ์ด ์์ต๋๋ค."๋ผ๊ณ
๋งํ๋ค.
โ ์ค๋ฉ๊ฐ-3 ์ง๋ฐฉ์ฐ ์ค๋ฉ๊ฐ-3 ์ง๋ฐฉ์ฐ์ ์ ์ฒด์ ์ฌ๋ฌ ๊ธฐ๋ฅ์ ํ์์ ์ด๋ค. ๊ทธ๋ค์ ์ฌ์ฅ๊ณผ ๋ ๊ฑด ๊ฐ์ ๋ชจ๋ ์ญํ ์ ํ๋ค. ๊ทธ๋ฌ๋ ํด๋ฆฌ๋ธ๋๋ ํด๋ฆฌ๋์ด ์ง์ ํ๋ฏ์ด, ์ ์ฒด๋
์ค์ค๋ก ์ถฉ๋ถํ ์ค๋ฉ๊ฐ-3๋ฅผ ์์ฐํ ์ ์๋ค. ์ฆ, ์ญ์ทจํ๋ ์์์ด๋ ๋ณต์ฉ ํ๋ ๋ณด์ถฉ์ ์์ ๋ ๋ง์ ๊ฒ์ ์ป์ด์ผ ํ๋ค. "์ค๋ฉ๊ฐ-3 ์ง๋ฐฉ์ฐ์ ์ฌ์ฅ ๊ฑด
๊ฐ์ ๋งค์ฐ ์ข์ผ๋ฉฐ ๋
ธ์ธ์๊ฒ ์ค์ํ ๋ถ๊ธฐ๋ฅผ ์ค์ด๋ ๋ฐ ๋์์ด ๋ ์ ์์ต๋ ๋ค." ๋ธ๋ฃจํฌ๋ ๋ฐ์ฌ๊ฐ ์ค๋ช
ํ๋ค. "๋ํ ๋ ๊ฑด๊ฐ์๋ ๋์์ด ๋๋ฉฐ ๊ธฐ์ต ์์ค ๊ณผ ์์ธ ํ์ด๋จธ๋ณ๊ณผ ๊ฐ์ ์ง๋ณ์ ์๋ฐฉํ๋ ๋ฐ ๋์์ด ๋ ์ ์์ต๋๋ค." ๊ทธ
๋ ์ค๋ฉ๊ฐ-3๊ฐ ์ผ์ฆ์ ์ค์ฌ ๋ถ๊ธฐ๋ฅผ ์ค์ด๋ ๋ฐ ๋์์ด ๋๋ค๊ณ ๋ง๋ถ์๋ค.
์ฐ์ด์ ๊ฐ์ ์ง๋ฐฉ์ด ๋ง์ ์์ ์ ์ค๋ฉ๊ฐ-3 ์ง๋ฐฉ์ฐ์ ์ข์ ๊ณต๊ธ์์ด๋ค. ๋ธ
๋ฃจํฌ๋ ๋ฐ์ฌ๋ ์๋ง์จ, ์น์์จ๋, ํธ๋๋ ๋จน์ ์ ์์ง๋ง "์ด๊ฒ๋ค์ ์ ์ฒด
๊ฐ ์ฝ๊ฒ ์ฌ์ฉํ์ง ์๋ ๋ค๋ฅธ ์ ํ์ ์ค๋ฉ๊ฐ-3๋ฅผ ์ ๊ณตํฉ๋๋ค."๋ผ๊ณ ๊ฒฝ๊ณ ํ
๋ค. ์์ ๊ธฐ๋ฆ๊ณผ ํด์กฐ๋ฅ ๊ธฐ๋ฆ๋ ๋ณด์ถฉ์ ๋ก ์ฌ์ฉํ ์ ์๋ค.
โ ์์ฐ
๋
ธํ ๋ฐ ์ฐ๋ น ๊ด๋ จ ์ง๋ณ์ ๋ณ๋ฆฌํ์ ๊ฒ์ฌ๋ ๋
ผ๋ฌธ์์ ์์ฐ์ "์ผ๋ฐ์ ์ผ๋ก
์ธ๊ฐ์ ๊ฑด๊ฐ์ ํ์์ ์ธ ๋ฏธ๋ ์์์์ด๋ฉฐ, ํนํ ๋
ธ์ธ์๊ฒ ํ์์ ์
๋๋ค."
์ ์๋ ์์ฐ์ด "๋
ธํ ๊ณผ์ ์์ ์ค์ํ ์ญํ ์ ํ๋ค."๊ณ ๋งํ๋ฉฐ, ์์ฐ ๊ฒฐํ
์ ๋๋งฅ ๊ฒฝํ, ์ ๊ฒฝ๊ณ์ ํดํ์ฑ ์งํ, ๋ฉด์ญ ์ฒด๊ณ์ ์ฐ๋ น ๊ด๋ จ ๋ณํ, ์์ ํฌ ํจํ ์ฌ๋ฌ ์ฐ๋ น ๊ด๋ จ ๋ง์ฑ ์งํ๊ณผ ๊ด๋ จ์ด ์์ ์ ์๋ค๊ณ ๋งํ๋ค. "๋์ด๊ฐ
๋ค๋ฉด ๋ฉด์ญ ์ฒด๊ณ๊ฐ ์ฝํด์ง๊ณ , ์์ฐ์ด ์ถฉ๋ถํ์ง ์์ผ๋ฉด ๋์ฑ ์
ํ๋ ์ ์์ต ๋๋ค." ๋ธ๋ฃจํฌ๋ ๋ฐ์ฌ๊ฐ ์ค๋ช
ํ๋ค. ์กฐ๊ฐ๋ฅ, ๋ถ์ ๊ณ ๊ธฐ, ๊ฐ๊ธ๋ฅ, ์ฝฉ, ๊ฒฌ๊ณผ๋ฅ,
์จ์์์ ์์ฐ์ ์ฐพ์ ์ ์๋ค.
๋ธ๋ฃจํฌ๋ ๋ฐ์ฌ๋ ๊ตด์ด ํนํ ์์ฐ์ด ํ๋ถํ๋ค๊ณ ๋งํ๋ค. ๊ทธ๋ "์ผ๋ถ ๋
ธ์ธ์ ์์ฐ ๋ณด์ถฉ์ ๊ฐ ๋์์ด ๋ ์ ์์ต๋๋ค. ํนํ ์์ฃผ ์ํ ๋๋ ์์ฐ์ด ํ๋ถ ํ ์์์ ์ถฉ๋ถํ ๋จน์ง ์๋ ๊ฒฝ์ฐ์ ๊ทธ๋ ์ต๋๋ค. ํ์ง๋ง ์์ฐ์ ๋๋ฌด ๋ง์ด
์ญ์ทจํ๋ฉด ์ ์ฒด์ ๋ค๋ฅธ ๋ฏธ๋ค๋์ ๋ฌธ์ ๊ฐ ์๊ธธ ์ ์์ผ๋ฏ๋ก ๊ถ์ฅ๋์ ๋ฐ๋ฅด
๋ ๊ฒ์ด ์ค์ํฉ๋๋ค."๋ผ๊ณ ๋ง๋ถ์๋ค.
โ ๊ฒฐ๋ก ๊ฑด๊ฐํ ์์ต๊ด์ ๋์ด๊ฐ ๋ค๋ฉด์ ๋ผ, ๋ฉด์ญ ์ฒด๊ณ ๋ฑ์ ๊ฐํํ๋ ๋ฐ ๋์์ด
๋ ์ ์๋ค.
์ด๋๊ณผ ๋ค๋ฅธ ์ข์ ์ต๊ด๊ณผ ํจ๊ป ์ฌ๋ฐ๋ฅธ ๋ฏธ๋ค๋๊ณผ ๋นํ๋ฏผ์ ์ญ์ทจํ๋ฉด ๊ฑด๊ฐ
์ด ๊ฐ์ ๋ ์ ์๋ค.
๋งค์ผ ์๋จ์ ์ถฉ๋ถํ ๋ง๊ทธ๋ค์, ๋นํ๋ฏผ B, ์นผ์, ๋นํ๋ฏผ D, ์ค๋ฉ๊ฐ-3, ์์ฐ
์ ์ญ์ทจํ๋๋ก ๋
ธ๋ ฅํ์. ๋ณด์ถฉ์ ๋ฅผ ๋ณต์ฉํ๊ธฐ ์ ์ ์์ฌ์ ์์ํ์ฌ ๊ธฐ์กด
์ฝ๋ฌผ๊ณผ ๊ฑด๊ฐ ์ํ์ ์ด๋ป๊ฒ ์ํธ ์์ฉํ ์ ์๋์ง ์์๋ณด์.
Community News
ํ๊ตญ์ ์๋ฆ๋ค์, LA ์ฐ๊ฝ์ถ์ ์ ์ง์ญํ์ฌ์์ ๋น๋๋ค!
์ ํฌ์ ๊ตญ์
๋ฌด์ฉ์, ์ ํต์์ ๊ณต์ฐ๊ณผ ์ฒญ์๋
๊ต์ก
์ง๋ 7์ 12์ผ(๊ธ), LA ์์ฝ ํ์์๋ ์ 44ํ **Lotus
Festival(์ฐ๊ฝ ์ถ์ )**์ด ์ฑํฉ
๋ฆฌ์ ๊ฐ์ต๋๋ค. ์ฌํด ์ถ์ ๋
๊ด๋ณต์ 80์ฃผ๋
์ ๊ธฐ๋
ํ๋ฉฐ, 10๋
๋ง์ ํ๊ตญ์ด ์ฃผ๋น๊ตญ์ผ
๋ก ์ด์ฒญ๋์ด ์๋ฏธ๋ฅผ ๋ํ๋ค.
์ฐ๊ฝ ์ถ์ ๋ LA์ ๊ณต์๊ตญ์ด
์ฃผ๊ดํ๋ฉฐ, ๋งค๋
์์๊ณ ์ปค๋ฎค
๋ํฐ์ ์ฐธ์ฌ๋ฅผ ๋
๋ คํ๊ณ ๋ค
์ํ ๋ฌธํ๋ฅผ ์กฐ๋ช
ํด ์จ ์ ํต
๊น์ ํ์ฌ๋ก, ์ด๋ฒ ์ถ์ ๋ฅผ ํต ํด ํ์ธ ์ฌํ์ ์ฑ์ฅ๊ณผ ๋ณํ
๋ ์์์ ๋ค์ ํ ๋ฒ ์๋ฆฌ๋ ๊ณ๊ธฐ๊ฐ ๋์๋ค. ์ด๋ ํ์ฌ์๋ ์ ํฌ์ ๊ตญ
์
๋ฌด์ฉ์(Hiza Yoo Korean Dance Institute)๊ฐ ๊ณต์ ์ด์ฒญ์ ๋ฐ์ ๋ฉ์ธ ๋ฌด
๋์์ ๋ถ์ฑ์ถค, ์๊ณ ์ถค, ์์ด ๋ํ ๊ณต์ฐ์ ์ ๋ณด์๊ณ , ์ ํต๊ณผ ํ๋๊ฐ ์ด
์ฐ๋ฌ์ง ๋ฌด๋๋ ๊ด๊ฐ๋ค๋ก๋ถํฐ ๋จ๊ฑฐ์ด ํธ์์ ์ป์์ผ๋ฉฐ, ์ฃผ์ต ์ธก์ผ๋ก๋ถํฐ ๊ฐ์ฌ์ฅ๋ ์์ฌ๋ฐ์๋ค. ๊ฐ์ ๋ ์ ๋
, ๋ผ์นด๋๋ค์์๋ ๋ถ๋ถ ํ์ธํ ์คํฐ
๋ธ ๋ฐ ํ์ฅ ์ทจ์์์ด ์ด๋ ธ๋๋ฐ, ์ด ์๋ฆฌ์์๋ ์ ํฌ์ ๊ตญ์
๋ฌด์ฉ์๋ ์ธ ๊ตญ์ธ ์ฐธ์์๋ค์ ๋์์ผ๋ก ๋ค์ ํ ๋ฒ ๋ถ์ฑ์ถค๊ณผ ์์ด ๋ํ ๊ณต์ฐ์ ํผ์ณ ํ๊ตญ ๋ฌธํ์ ์๋ฆ๋ค์์ ์๋ ธ์ผ๋ฉฐ, ์ด ์๋ฆฌ์์๋ ๊ฐ์ฌ์ฅ์ ์์ฌ๋ฐ์๋ค.
7์ 13์ผ(ํ )์๋ Oxnard Korean UMC(๋ด์๋ชฉ์ฌ ๋จ์ฌํ)์์ ์ด๋ช
์
์ง์ฌ์ ๊ณ ํฌ ์ถํ ๊ณต์ฐ์ด ์ด์ด์ก๋๋ฐ, ์ ํฌ์ ๋จ์ฅ์ ๋ฌธํ์์ธ ์ด๋ช
์
์ง์ฌ๋ฅผ ์ํ ๋ฌด๋์์ ์ด๋ช
์ ์ง์ฌ์ ์ด๋ฅด์ ๋ค์ด ํจ๊ปํ ๋ถ์ฑ์ถค๊ณผ ์
์ด ๋ํ ๊ณต์ฐ์ ๋ฐ๋ปํ ๊ฐ๋์ ์ ์ฌํ๋ค. ๊ฐ์กฑ๋ค๋ ๊ณต์ฐ์ ๋์ฐธํ์ฌ ์
๋๋๊ณผ ๋ฉฐ๋๋ฆฌ๋ ํผ์๋
ธ ์ฐ์ฃผ๋ฅผ, ๋ถ๊ตฐ ์ด๋ช
๊ตฌ ์ง์ฌ๋ ํ๊ฐ๋ค์ ์ํ ์
์ฌ ์์ฌ๋ฅผ ์ค๋นํ๋ฉฐ ์ถํ์ ์๋ฏธ๋ฅผ ๋ํ๋ค. ํํธ, 1999๋
์ค๋ฆฝ๋ ์ ํฌ
์ ๊ตญ์
๋ฌด์ฉ์๋ ๋จ์ํ ๊ณต์ฐ๋จ์ ๋์ด, ์ง์ญ์ฌํ์ ํ๊ตญ ์ ํต๋ฌธํ๋ฅผ
์๋ฆฌ๊ณ ์ฒญ์๋
๋ค์๊ฒ ์์ ๋ด์ฌ ๊ธฐํ๋ฅผ ์ ๊ณตํ๋ ๊ต์ก๊ธฐ๊ด์ผ๋ก๋ ์๋ฆฌ
๋งค๊นํ๊ณ ์๋ค. ์ฐํ ์ฒญ์๋
์์ ๋ด์ฌ ๋จ์ฒด์ธ Yooโs Korean Cultural Club์ ๋ด์ฌ์ ์ฐธ์ฌํ๋ ํ์๋ค์๊ฒ ์ปค๋ฎค๋ํฐ ์๋น์ค ํฌ๋ ๋ง์ ์ ๊ณตํ
๋ฉฐ, ํด๋ฝ ์์ ํ๋์ ๊ธฐํ๋ ์ด๋ ค ์๋ค. 8์์๋ โ์ฒญ์๋
๋ถ์ฑ์ถค ํด๋ ์คโ๊ฐ ์ ์ค๋์๋ค. ์ ํต์์ ์ ๋ฐฐ์ฐ๊ณ ์ง์ญ์ฌํ์ ๊ธฐ์ฌํ ์ ์๋ ์ด ํ๋ก๊ทธ๋จ์ ์ฒญ์๋
๋ค์๊ฒ ๋ฌธํ์ ์๊ธ์ฌ๊ณผ ๋ด์ฌ์ ์๋ฏธ๋ฅผ ๋์์ ์ฌ์ด ์ค ๊ฒ์ผ๋ก ๊ธฐ๋๋๋ค. ๋ฌธ์: (818) 456-8022
์น์ฌ์ดํธ: www.hizakordance.com, ์ ํ๋ธ ๊ฒ์: โHiza Yooโ
์ฌ๋ฆ์ฒ ๋ชธ์ด ๋ณด๋ด๋ ๊ฒฝ๊ณ , ํต์ฆ ๊น์์ฐ ํ๋ฐฉ๋ณ์์์ ๋ฐ๋ก์ก๋๋ค.
OTC ์นด๋ ํ์, ํ๋ฐฉ๊ต์ ์ถ๋์๋ฒ์ผ๋ก
๊ฐ์ข
ํต์ฆ์ ํ์ํ ์น๋ฃ ํจ๊ณผ
๋ฌด๋์ด ์ฌ๋ฆ, ๋๋ฐฉ๊ธฐ๊ธฐ ์ฌ์ฉ์ด ๋๊ณ
ํ๋๋์ด ์ค์ด๋ค๋ฉด์ ๋ชฉ๊ณผ ์ด๊นจ ๊ฒฐ
๋ฆผ, ํ๋ฆฌํต์ฆ, ๊ด์ ์ด์ ๋ฑ ๋ค์ํ
ํต์ฆ์ด ๋์ฑ ์ฌํด์ง๋ ๊ณ์ ์ด๋ค. ๋ชธ
์ด ๋ณด๋ด๋ ๊ฒฝ๊ณ ์ธ ํต์ฆ์ ์ ๋ ๋ค์ค
๋ฆฌ์ง ์์ผ๋ฉด ๋ง์ฑํ๋๊ธฐ ์ฝ๊ณ , ์ถ์
์ง๋ ๋จ์ด๋จ๋ฆฐ๋ค.
๊น์์ฐ ํ๋ฐฉ๋ณ์์ ์ด๋ฌํ ํต์ฆ์ ์์ธ์ ์ ํํ ๋ถ์ํ๊ณ , ํ๋ฐฉ๊ต์
์ถ๋์๋ฒ์ ์ค์ฌ์ผ๋ก ์นจ ์น๋ฃ์ 8์ฒด์ง ํ๋ฐฉ์น๋ฃ, ์ฒด์ง ๋ณด์ฝ์ ํตํด ์
์ฐ์ค๋ฝ๊ณ ํจ๊ณผ์ ์ธ ํต์ฆ ๊ฐ์ ์ ๋๊ณ ์๋ค.
์ถ๋์๋ฒ์ ํ์์ฌ๊ฐ ์๊ณผ ์ ์ฒด๋ฅผ ์ด์ฉํด ํ์ด์ง ์ฒ์ถ์ ๊ด์ ์ ๋ฐ๊ณ
๋น๊ฒจ ์ ์๋ฆฌ์ ๋ง์ถ๋ ์๊ธฐ์๋ฒ์ผ๋ก, ์ฒ์ถ์ ๋ถ๊ท ํ์ ๋ฐ๋ก์ก์ ๊ทผ๋ณธ
์ ์ธ ํต์ฆ ์ํ๋ฅผ ์ ๋ํ๋ ํ๋ฐฉ ์น๋ฃ๋ฒ์ด๋ค. ๋นํ์ด์ง ์ฒดํ, ์๋ชป๋ ์ ์ธ, ๋ฐ๋ณต์ ์ธ ๊ทผ์ก ๊ธด์ฅ์ผ๋ก ์ธํ ํต์ฆ์ ๋น์์ ์ ๋ฐฉ๋ฒ์ผ๋ก ํด๊ฒฐํ ์
์๋ค๋ ์ ์์ ๋ง์ ์ด๋ค์๊ฒ ์ ํ๋๊ณ ์๋ค. ์ด๊ณณ์์๋ ๋ชฉ, ํ๋ฆฌ, ์ค
์ญ๊ฒฌ, ์๋ฉด ๊ทผ์ก ๋ง๋น(ํ)๋ฅผ ๋น๋กฏํด ๋ง์ฑํต์ฆ, ๊ธ์ฑํต์ฆ, ์ ๊ฒฝ๊ณ ์งํ, ์ฐ
์ธ์ฆ, ๋ถ๋ฉด์ฆ, ์ผ๊ฐ ๋น๋จ, ์ฒ์, ๋
ธ์ธ์ฑ ๋ณ๋น ๋ฑ ๊ด๋ฒ์ํ ์ฆ์์ ๋ํ ์ง
๋ฃ์ ์น๋ฃ๊ฐ ๊ฐ๋ฅํ๋ค. ๋จ์ํ ์ฆ์์ ์ต์ ํ๋ ๊ฒ์ด ์๋, ํ์์ ์ฒด์ง ๊ณผ ์ํ์ ๋ง๋ ๋ง์ถคํ ์ ๊ทผ์ผ๋ก ํต์ฆ์ ์์ธ์ ๋ฟ๋ฆฌ๋ถํฐ ๋ค์ค๋ฆฐ๋ค.
๊น์์ฐ ์์ฅ์ ์ค๋ ์์๊ฒฝํ์ ๋ฐํ์ผ๋ก ์ ์ฑ๊ป ์ง๋ฃํ๋ฉฐ, ์ด๋ฏธ ํจ๊ณผ
๋ฅผ ๋ณธ ํ์๋ค์ ์๊ฐ๋ก ๋ฉ๋ฆฌ์ ์ฐพ์์ค๋ ์ด๋ค๋ ๋ง๋ค.
Clever Care, Acu-care, Optum, Anthem, UnitedHealthcare, Well Care ๋ฑ ๋ค์ํ ๊ฑด๊ฐ๋ณดํ ๋ฐ ๋ฉ๋์ผ์ด HMO ํ๋์ ํตํด ์นจ ์น๋ฃ๊ฐ ๊ฐ๋ฅํ
๋ฉฐ, OTC ์นด๋๋ ์ฌ์ฉํ ์ ์์ด ๋น์ฉ ๋ถ๋ด ์์ด ์น๋ฃ๋ฐ์ ์ ์๋ค.
์ฃผ์: 10605 Balboa Blvd. Ste. 302, Granada Hills, CA 91344
์์ฝ ๋ฐ ๋ฌธ์: 818-966-0653, ์น์ฌ์ดํธ: https://kenacu.com
Business News
๋ญ์ค ์คํจ์ผ์ด - ๊ฒ๊ฒ ๊ทธ์๋ฆฐ ํผ๋ถ
๋ค์ ํฌ๊ณ ๋ง๊ฒ!
ํ์ด์ฅฌ๋ก ๋นํ๋ฏผC ํน์ ๋ฏธ๋ฐฑ ๊ด๋ฆฌ $99
์ฌ๋ฆ์ฒ ๊ฐํ ํ๋น์ ๋
ธ์ถ๋์ด ์น์นํด์ง๊ณ ๊ฒ๊ฒ ๊ทธ์๋ฆฐ ํผ๋ถ, ๋ค์ ํํ
๊ณ ์๊ธฐ ์๊ฒ ๋๋๋ฆด ์ ์์๊น?
๋
ธ์ค๋ฆฌ์ง์ ์์นํ ๋ญ์ค ์คํจ์ผ์ด(LUXE SKINCARE)์์ ๋ฐ๋ก ๊ทธ ํด
๋ต์ ์ฐพ์ ์ ์๋ค.
๋ญ์ค ์คํจ์ผ์ด์์ ์คํ์
ํ๋ก๊ทธ๋จ์ธ ๋นํ๋ฏผ C ๋ธ๋ผ์ดํธ๋ ํ์ด์ฅฌ๋ก
ํ์ด์
์, ํน์ ๋นํ๋ฏผC ์ฐํ๊ณผ ์๋ถ ๊ณต๊ธ์ ํตํด ๊ฒ๊ฒ ๊ทธ์๋ฆฐ ํผ๋ถ๋ฅผ
ํจ๊ณผ์ ์ผ๋ก ํํ๊ฒ ์ฌ์์์ผ์ฃผ๋ 90๋ถ ์ง์ค ๋ฏธ๋ฐฑ ์ผ์ด ํ๋ก๊ทธ๋จ์ด๋ค.
์ง๊ธ ๋จ $99์ ์ ๊ณต๋๋ ์ด ํน์ ๋ฏธ๋ฐฑ ๊ด๋ฆฌ๋ ์ฌ๋ฆ์ฒ ์์ธ์ ์ ์์๋
ํผ๋ถ๋ฅผ ๋น ๋ฅด๊ฒ ์ง์ ์ํค๊ณ , ์น์นํ ์์์ ๋ฐ๊ฒ ๋๋๋ฆฌ๋ ๋ฐ ํ์ํ ํจ
๊ณผ๋ฅผ ๋ณด์ธ๋ค.
๋ญ์ค ์คํจ์ผ์ด๋ ๋ชจ๋ ๊ด๋ฆฌ๋ฅผ ๊นจ๋ํ๊ณ ๋
๋ฆฝ๋ ๋ฃธ์์ ์งํํ๋ฉฐ, ๋
์ผ
์ ๊ณ ๊ธ ์ ํ๊ณผ ๊ณ ๊ธฐ๋ฅ์ฑ ํผ๋ถ์ฌ์ ์ ํ, ์ต์ ์ฅ๋น๋ฅผ ์ฌ์ฉํด ์ต์์ ๊ฒฐ
๊ณผ๋ฅผ ๋๋ฆฐ๋ค. ์ฌ๊ธฐ์ ๊ณ ๊ฐ ํ ์ฌ๋ ํ ์ฌ๋์ ํผ๋ถ ์ํ๋ฅผ ๊ณ ๋ คํ 1:1 ๋ง
์ถค ์ผ์ด๊น์ง ๋ํด์ ธ ๊น์ด ์๋ ํผ๋ถ ๋ณํ๋ฅผ ๊ฒฝํํ ์ ์๋ค.
์ด ์ธ์๋ ์ผ๋ฐ ํผ๋ถ ๊ด๋ฆฌ, ์๋ถ ๋ณด์ต ์ผ์ด, ์ฌ๋๋ฆ ๋ง์ถค ๊ด๋ฆฌ, ๋
ธํ ๊ฐ
์ , ๋ฌผ๋ฐฉ์ธ ๋ฆฌํํ
์๋
ธ์ผ์ด, ์ฃผ๋ฆ ๊ฐ์ ๊ด๋ฆฌ ๋ฑ ๋ค์ํ ํผ๋ถ ํ๋ก๊ทธ๋จ
์ด ์ค๋น๋์ด ์๋ค.
ํํธ, ๋ฃจ๋น ์ ์์ฅ์ด ์ง์ ์์ ํ๋ ๋ฐ์๊ตฌํ์ฅ ์๋น์ค๋ ๋ง์ ๊ณ ๊ฐ์ ๊ฒ ์ฌ๋๋ฐ๊ณ ์๋๋ฐ, ์ต๊ณ ๊ธ ์ฌ๊ฒ๋ ๋ฐ ๋ฉ๋์ปฌ ๊ทธ๋ ์ด๋ ์ ํ์ ์ฌ์ฉํ ๋ ๋ฃจ๋น ์ ๋ฐ์๊ตฌํ์ฅ์ ์์ฐ์ค๋ฝ๊ณ ์ค๋ ์ง์๋๋ ์๋ฆ๋ค์์ ์ ์ฌ ํ๋ค. ์ต์ ํธ๋ ๋๋ฅผ ๋ฐ์ํ 4D ์
์ฒด ์์ฐ๋์น, ์
์ ๋ผ์ธ ๋ฐ ํดํธ, ์์ด ๋ผ์ธ, ํ๋ชจ ์ปค๋ฒ(SMP)๋ถํฐ ๋ถ๊ฑฐ๋ ํ๋๊ฒ ๋ณ์๋ ๋์น ์์ , ๋จ์ฑ ๋์น, ๋ฌดํต ์์ , ๊ทธ๋ฆฌ๊ณ ๊ฐ์ข
์ , ์ฅ์ , ์์ด์ง ์คํ, ์ฌ๋ง๊ท ์ ๊ฑฐ๊น์ง ๊ฒฝํ์ด ํ๋ถํ ๋ฃจ๋น ์ ์์ฅ์ ์๊ธธ์ ์์ฐ์ค๋ฌ์๊ณผ ์ฌ์ธํจ์ด ๋ค๋ฅด๋ค.
์ฃผ์: 9514 Reseda Blvd #13, Northridge, CA 91324
์์ฝ ๋ฐ ๋ฌธ์: ํผ๋ถ ๊ด๋ฆฌ 818-836-0016, ๋ฐ์๊ตฌํ์ฅ 818-267-6006
๊ธ : ์ค๋ก ์ค ๋ณํธ์ฌ
2026๋
non-MAGI Medi-Cal ์ํ์์ ์์ฐ ํ๋ ๋ณต์
์บ๋ฆฌํฌ๋์ ์ฃผ์ง์ฌ์ ์ฃผ ์ํ๋ ์ต๊ทผ Medi-Cal์ด ํ์ํ ์๋์ด์ ์ฅ
์ ์ธ์ ์ํ ์ฃผ์ ๋ณ๊ฒฝ ์ฌํญ์ ํฌํจํ๋ ์์ฐ ํฉ์์ ๋๋ฌํ์ต๋๋ค.
2026๋
1์ 1์ผ๋ถํฐ non-MAGI Medi-Cal ์ ์์ฐ ํ๋๊ฐ 2022๋
์
์ค์ผ๋ก ๋ณต์๋์ด์ ๊ฐ์ธ์ $130,000, ์ถ๊ฐ ๊ฐ๊ตฌ ๊ตฌ์ฑ์์ $65,000์
๋ ๋ค. ๋ถ๋ถ๊ฐ โ๋ฐฐ์ฐ์ ๋น๊ณค ๋ณดํธ(Spousal Impoverishment protections)โ
์๊ธ์์ธ ๊ฒฝ์ฐ, ์ถ๊ฐ ์์ฐ ํ๋๊ฐ ์ ์ฉ๋ฉ๋๋ค.
Non-MAGI Medi-Cal๋ Modified Adjusted Gross Income (MAGI)๋ฐฉ์ ๊ณผ ๋ค๋ฅธ ์๊ฒฉ ๊ธฐ์ค์ ์ฌ์ฉํ๋ Medi-Cal ํ๋ก๊ทธ๋จ์ ์๋ฏธํฉ๋๋ค. ์ด ํ
๋ก๊ทธ๋จ์ ์ํ ๋์์ ๊ณ ๋ น์, ์๊ฐ ์ฅ์ ์ธ, ์ฅ์ ์ธ์
๋๋ค. 65์ธ ์ด์, ์๊ฐ ์ฅ์ ์ธ ๋๋ ์ฅ์ ์ธ์ ๋ค์๊ณผ ๊ฐ์ต๋๋ค. (๋ช
ํํ ์ค๋ช
์ ์ํด ์ถ๊ฐ ํ์ต๋๋ค.)
์์ฐ ํ๋๋ ์ด๋ป๊ฒ ๋๋์?
2026๋
1์ 1์ผ๋ถํฐ ์์ฐ ํ๋๋ ๊ฐ์ธ $130,000, ๋ถ๋ถ $195,000์ด ๋ฉฐ, ์ถ๊ฐ ๊ฐ๊ตฌ ๊ตฌ์ฑ์์ $65,000์
๋๋ค. non-MAGI ํ๋ก๊ทธ๋จ์ ๊ฒฝ์ฐ,
(ํฉํธ ์ํธ - CAHNR.org ๋ฐ์ท)
Medi-Cal์ ๊ฐ๊ตฌ ์ ์์ ํญ์ ๋๊ฑฐ์ธ์ ํฌํจํ์ง ์๋๋ค๋ ์ ์ ์ ์ํด์ผ ํฉ๋๋ค. ๋ถ๋ถ๊ฐ โ๋ฐฐ์ฐ์ ๋น๊ณค ๋ณดํธ(Spousal Impoverishment protections)โ ์๊ธ์์ธ ๊ฒฝ์ฐ, ์์ฐ ํ๋๋ โinstitutionalized spouse(์ ์ ์์ค์ ๊ฑฐ์ฃผํ๋ฉฐ ์์ ์์ค์ ๊ฑฐ์ฃผํ์ง ์๋ ๋ฐฐ์ฐ์์ ๊ฒฐํผํ ์ฌ ๋)โ์ ๊ฒฝ์ฐ $130,000์ด๋ฉฐ, โcommunity spouse(์ฅ๊ธฐ์์ ๋ฉ๋์นผ์
์ ์ฒญํ์ง ์๋ ๋ฐฐ์ฐ์)โ๋ Community Spouse Resource Allowance ์ ๋ฐ์ ์ ์์ต๋๋ค. ์ด ๊ธ์ก์ ๋งค๋
์ฝ๊ฐ์ฉ ๋ณ๋๋๋ฉฐ, 2025๋
์๋ $157,920์
๋๋ค.
์์ฐ์ ์ธ์ Medi-Cal์ ๋ณด๊ณ ํด์ผ ํ๋์?
โ ์ ๊ท ์ ์ฒญ์์ ๊ฒฝ์ฐ, 2026๋
1์ 1์ผ ์ดํ ์ ์๋ ๋ชจ๋ ์ ๊ท
Medi-Cal ์ ์ฒญ์ ๋ํด ์์ฐ ์ ๋ณด๋ฅผ ๋ณด๊ณ ํด์ผ ํฉ๋๋ค.
โ ํ์ฌ Medi-Cal ์ํ์๋ 2026๋
1์ 1์ผ ์ดํ ๋ฐ์ํ๋ ์ฐจ๊ธฐ ์ฐ ๋ก ๊ฐฑ์ ์ ๋๋ ์์ฐ ์ ๋ณด๊ฐ ์ด์ ์ ์์ง๋์๊ณ ๋จ๋
๊ฒํ ๋ฅผ ํตํด ํ์ธ ๊ฐ๋ฅํ ๊ฒฝ์ฐ ์ํฉ๋ณํ (CIC) ์ฌ์ฌ์ฌ ์ ์์ฐ์ ๋ณด๋ฅผ ์ ๊ณตํด์ผ ํฉ๋๋ค.(์ ์ ์๋๋ฆฌ์ค๋ ACWDL 25-14 ์ฐธ์กฐ).
* ์๋ฅผ ๋ค์ด, ์ ๊ธฐ ๊ฐฑ์ ์์ด 8์์ธ ๊ฒฝ์ฐ, 2025๋
8์์๋ ์์ฐ์ ๋ณด๊ณ
ํ ํ์๊ฐ ์์ต๋๋ค. ์๋์ด๋ ์ํํ๊ฒฝ ๋ฑ ์ํฉ์ ๋ณํ๊ฐ ์๋ค๋ฉด 2026
๋
8์์ ์์ฐ์ ๋ณด๊ณ ํด์ผ ํฉ๋๋ค.
2026๋
์๋ ์ด๋ค ์์ฐ์ด Medi-Cal ์ํ ์๊ฒฉ์ ํฌํจ๋ฉ๋๊น?
๋ชจ๋ ์์ฐ์ด Medi-Cal ์ํ ์๊ฒฉ์ ํฌํจ๋๋ ๊ฒ์ ์๋๋๋ค. "๋ฉด์ " ๋
๋ "๋น๋ฉด์ " ์์ฐ์ ๋ํ ๊ธฐ์กด Medi-Cal ๊ท์ ์ 2024๋
์ด์ ๊ณผ ๋์ผํ ๊ฒ ์ ์ง๋ฉ๋๋ค. ๋ฉด์ ๋์ ์์ฐ์ผ๋ก ๊ฐ์ฃผ๋์ด ๊ณ์ฐ์ ํฌํจ๋์ง ์๋ ์
์ฐ์๋ ์ฃผ ๊ฑฐ์ฃผ์ง, ๊ฐ์ ์ฉํ ๋ฐ ๊ฐ์ธ ์์งํ, ๋ณด์๋ฅ, ์๋์ฐจ ํ ๋, ์ ๊ธฐ
์ ์ผ๋ก ์ด์์ ์๊ธ์ ์ง๊ธ๋ฐ๋ ๊ฒฝ์ฐ IRA/๊ทผ๋ก์ฐ๊ธ ๊ณ์ข ์์ก, ์ข
์ ๋ณด ํ(์ก๋ฉด๊ฐ 1,500๋ฌ๋ฌ ์ดํ), ์ ๊ธฐ ์๋ช
๋ณดํ, ๋งค์ฅ์ง, ์ ๋ถ ์ทจ์๋ถ๋ฅ ์ฅ๋ก
๊ณํ, ์ง์ ์ฅ๋ก ๊ธฐ๊ธ 1,500๋ฌ๋ฌ, ์ฌ์
๋๋ ์๋ฆฝ์ ์ฌ์ฉ๋๋ ๊ธฐํ ๋ถ๋
์ฐ, ๊ทธ๋ฆฌ๊ณ 13๋ง ๋ฌ๋ฌ์ ์ฌ์ฐ ์ ๋ฆฝ๊ธ์ด ํฌํจ๋ฉ๋๋ค. ๋ถ๋ถ๊ฐ โ๋ฐฐ์ฐ์ ๋น
๊ณค ๋ณดํธ(Spousal Impoverishment protections)โ ์๊ธ์์ธ ๊ฒฝ์ฐ, ๋ฐฐ์ฐ์
์ IRA ๋๋ ๊ทผ๋ก ๊ด๋ จ ์ฐ๊ธ์ ์ ๊ธฐ์ ์ธ ์ง๊ธ ์ฌ๋ถ์ ๊ด๊ณ์์ด ๊ณ์ฐ์ ํฌํจ๋์ง ์์ต๋๋ค.
์ ํ์ด๋ ์์ฐ ๊ณํ์ ๊ดํ ์ง๋ฌธ์ด ์์ผ์๋ฉด ์์ฐ ๊ณํ, ์ ํ ๋ฐ ๊ฒ์ธ๋ฒ
๋ถ์ผ์ ์์ ๊ณต์ธ ์ ๋ฌธ๊ฐ ์ค ํ ๋ช
์ธ ์ค๋ก ์ค ๋ณํธ์ฌ์๊ฒ ๋ฌธ์ํ์ธ์. (805-298-0405)
์ฌ์ ๋ณดํธ, ๋ฏธ๋๊ณํ
๋ฑ ํ์ํ ์๋ช
๋ณดํ์ StateFarm์ Kathy Song ์์ด์ ํธ๊ฐ ์๋ดํด๋๋ฆฐ๋ค.
์ค๋ซ๋์ ์๋ง์ ๊ฐ์
์๋ค๋ก๋ถํฐ ์ ๋ขฐ์ ์ฌ
๋์ ๋ฐ๊ณ ์๋ StateFarm ๋ณดํ์ ์ถ์ ์ ์ฐ ์ฑ์ ๋์ฌ ๋ฏธ๋๋ ๋ฌผ๋ก , ๋ฐ๋ก ์ค๋, ๊ฐ์กฑ์ ์ฌ
์ ์ ๋ณดํธํด์ฃผ๋ ์๋ช
๋ณดํ์ ์ ๊ณตํด๋๋ฆฌ๊ณ ์๋๋ฐ, StateFarm์ Kathy Song ์์ด์ ํธ๋ ์ ์ํ๊ณ ์ ํํ๊ฒ ๊ณ ๊ฐ์ ํ์ฌ ์ํฉ์ ๊ฐ์ฅ ์๋ง์
๋ณดํ์ ์ฐพ์๋๋ฆฌ๋ฉฐ ๋ณดํ๋ฃ๋ฅผ ์ ์ฝํ ์ ์๋ ์ต์ ์ ๋ฐฉ๋ฒ์ ๋ณด์ฅํด๋
๋ฆฌ๊ธฐ
๋๋ฌธ์ ๋์ฑ ๋ฏฟ์ ์ ์๋ค. ์ง์ญ ํ์ธ ๊ณ ๊ฐ๋ค์ ์ํด ์ ์ํ๊ณ ๊ณต
์ ํ ํด๋ ์ ์ฒ๋ฆฌ์ ์ต๊ณ ์ ๋ง์ถคํ ๋ณดํ์ผ๋ก ๋์ฑ ์์ ํ๊ณ ํ๋ณตํ ๋ฏธ
๋๋ฅผ ๋ง๋ค์ด ๋๋ฆฌ๊ธฐ ์ํด ์ต์ ์ ๋คํด ์๋น์ค ํด ์จ State Farm ๋ณดํ์
Kathy Song ์์ด์ ํธ๊ฐ ๊ณ ๊ฐ์ด ๋์ฑ ํธ๋ฆฌํ๊ฒ ๋ฐฉ๋ฌธํ๊ณ ์ด์ฉํ์ค ์
์๋๋ก ๋์ฑ ์ฑ์ฌ์ฑ์๊ป ์๋น์คํ๊ฒ ๋์๋๋ฐ, ๊ณ ๊ฐ๋ค์ด ๋๋ฆฌ์ค ์ ์
๋ ๋ชจ๋ ํ ์ธํํ์ ์ฐพ์ ์ต๋๋ก ๋ณดํ๋ฃ๋ฅผ ์ ์ฝํ์ค ์ ์๋๋ก ๋์๋
๋ฆฌ๋ฉฐ, ๊ณ ๊ฐ๋ค์๊ฒ ๊ฐ์ฅ ํ์ํ๊ณ ๋ง์กฑ์ค๋ฌ์ด ๋ณดํ์ ์ ๊ณตํ์ฌ ๋ง์กฑํ
๋ฉฐ ์์ฌํ๊ณ ๋ณดํ์ ๊ฐ์
ํ ์ ์๋๋ก ์๋น์คํด ๋๋ฆฐ๋ค.
์ฃผ์: 25060 Avenue Stanford Ste. 170, Valencia, CA 91355
๋ฌธ์ : 661-417-8110 / Kathy.song.frsx@statefarm.com
Kim In ์ธํ
๋ฆฌ์ด & Construction
์ฌ๋ฌด์ค์ด๋ ์ง ๊ณต๊ฐ์ ๋ณํ๋ฅผ ์ฃผ์ด ๋ถ์๊ธฐ๋ฅผ ๋ฐ๊ฟ๋ณด๊ณ ์ถ์ ๋ ํน์ ์ค๋ ๋๊ณ ๋ก์ ์ง ์์ ๊ตฌ์๊ตฌ์์ ์
๊ทธ๋ ์ด๋ ํ๊ณ ์ถ์ ๋, ์ฑ
์๊ฐ ์๊ณ ์ ์ง ํ๊ฒ ์๊ณตํด์ฃผ๋ ๊ณณ์ ์ฐพ๊ธฐ ์ํด ์ ๊ฒฝ์ ์จ์ผ ํ ๋ถ๋ถ๋ค์ด ๋ง์๋ฐ, Kim In ์ธํ
๋ฆฌ์ด & Construction์ ์ค๋ด ๊ณต๊ฐ์ ๋ํ ๋ชจ๋ ๊ฒ์ ์๋ฒฝํ๊ฒ ์๋น์คํด ์ฃผ๋ ๊ณณ์ผ๋ก ์ธ์ ๋ฐ๊ณ ์๋ค. ๋๋ฌด๋ง๋ฃจ์ ํ์ผ์ ๋ฌธ์ผ๋ก ๋๋ฌด ๋ฐ๋ฅ ์๋ฆฌ์
์์ง์ฒ๋ฆฌ๋ฅผ ๊ตฐ๋๋๊ธฐ ์์ด ๋ง๋ํ๊ฒ ํด๋๋ฆฌ๋ฉฐ, ์ปคํผ ๋ฐ ๋ธ๋ผ์ธ๋, Wood Shutter๋ฅผ ์ง์๊ณต์ฅ ์ด์ํ์ฌ ์ ๋ ดํ ๊ฐ๊ฒฉ์ผ๋ก ๋ง์กฑ์ ๋๋ฆฌ๋ Kim In ์ธํ
๋ฆฌ์ด & Construction์ ์๋ก์ด ์นดํซ๊ณผ ์นดํซ์๋ฆฌ, ์ฒญ์์ Water Damage์ฒ๋ฆฌ


๋ ์ ๋ฌธ์ผ๋ก ํ์ฌ ๋ณดํํ์ฌ์ ํผํด๋ณด๊ณ ์์ฑ๊น์ง ์ฒ๋ฆฌํด๋๋ฆฐ๋ค. ์ํํธ๋ ์ง์๋ฆฌ์ ํ์ํ ํธ๋๋งจ ์์
๊ณผ ์ฃผํ, ์ฃผ๋ฐฉ, ํ์ฅ์ค ๊ฐ์กฐ, ๊ทธ๋ผ๋์ ์นด์ดํฐ ํ ๋ง๋ธ, ์บ๋น๋ท์ ๋น๋กฏํ์ฌ ๋ชจ๋ ์ข
๋ฅ์ ํ์ธํธ, ๋ฐฐ๊ด, ์ ๊ธฐ ๊ณต์ฌ, ๋ฐฉ๊ณผ ์ค ํผ์ค ์นธ๋ง์ด ๊ณต์ฌ, Patio ๊ณต์ฌ์ ์๋ก์ด ์ฐฝ๋ฌธ์ด๋ ์ฐฝ๋ฌธ ์๋ฆฌ, ์ ๋ฆฌ ์ค์๋์ด ๊ต์ฒด ๋ฑ ์ธํ
๋ฆฌ์ด์ ๋ฆฌ๋ชจ๋ธ๋ง ๊ฑด์ถ์ ํ์ํ ๋ชจ๋ ๊ฒ์ ํด๊ฒฐํ ์ ์์ด ๋ ์ฑ ํธ๋ฆฌํ Kim In ์ธํ
๋ฆฌ์ด & Construction์ ๊ทธ ์ด๋ค ๊ณณ๋ณด๋ค ์ฑ์คํ๊ณ ๋ฏฟ์ ์ง์ค๋ฌ์ด ์์
์ผ๋ก ๊ณ ๊ฐ๋ค์ ์์ ๋ถ๋ง์ฌํญ๊น์ง ๋ง๋ฌด๋ฆฌ ์ง์ด๋๋ฆฌ๋ ๋ง์กฑ ์ค๋ฌ์ด ๊ณณ์ด๋ค. ๋ฌธ์ : 888-546-4614, 818-831-4914
โ๊ฑด๊ฐํ ๊ฑธ์, ์์ํ ์ฌ๋ฆโ ๋ฐ๋๋ถํฐ ์์ํ๋ ๊ฑด๊ฐ๊ด๋ฆฌ
๋ฐ๋ ์์ '์ปดํฌํธ ์์ฆ(Comfort Shoes)'์์ ๋ด ๋ฐ์ ๊ผญ ๋ง๋ ๊ธฐ๋ฅ์ฑ ์ ๋ฐ ์ฐพ๊ธฐ
์ฌ๋ฆ์ฒ ํ๋๋์ด ๋ง์์ง๋ 8์, ๋๊ณผ ์ด๊ธฐ๋ก ์ง์น ๋ชธ์ ๋ ๋ฏผ๊ฐํด์ง๊ธฐ
๋ง๋ จ์ด๋ค. ํนํ ๋ฐ์ ํ๋ฃจ ์ข
์ผ ์ฐ๋ฆฌ ๋ชธ์ ์งํฑํ๋โ์ 2์ ์ฌ์ฅโ์ด๋ผ
๋ถ๋ฆด ๋งํผ ์ค์ํ ์ญํ ์ ํ๋ฉฐ, ๊ทธ ํผ๋ก๋๊ฐ ํ๋ฃจ์ ์ปจ๋์
์ ์ข์ฐํ๋ค.
๋ฌด์ฌ์ฝ ์ ๋ ์ ๋ฐ์ด ํ๋ฆฌ ํต์ฆ์ด๋ ๋ฌด๋ฆ ๊ด์ ์ด์์ ์ ๋ฐํ ์ ์๋ค๋ ์ฌ์ค, ์ด๋ด ๋์ผ์๋ก โ๊ธฐ๋ฅ์ฑ ์ ๋ฐโ์ด ๊ฑด๊ฐ๊ด๋ฆฌ์ ์ถ๋ฐ์ ์ด ๋ ์ ์
๋ค. ๊ธฐ๋ฅ์ฑ ์ ๋ฐ, ์ ์ด์ผ ํ๋ ์ด์ ๋ ๋ฐ๋ฐ๋ฅ ํต์ฆ, ๋ฌด๋ฆ ํต์ฆ, ํ๋ฆฌ ํต
์ฆ์ ์์ธ์ ํด๊ฒฐ, ๋ฐ์ ์์น๋ฅผ ์ง์งํด ์ฒดํ ๊ท ํ ๊ฐ์ , ์ฅ์๊ฐ ์ ์๊ฑฐ
๋ ํ๋ํ ๋ ํผ๋ก๋ ๊ฐ์, ๋ณดํ ์์ ์ฑ์ ๋์ฌ ๋์ ์ํ ๊ฐ์, ๊ฑด๊ฐํ ๊ณ ํจ์จ์ ์ธ ๊ฑธ์์ผ๋ก ์ถ์ ์ง ํฅ์์ด ๋ ์ ์๋๋ฐ, ๋ฐ๋ ์์์ ์์นํ
โ์ปดํฌํธ ์์ฆ(Comfort Shoes)โ๋ ๋จ์ํ ํธ์ํ ์ ๋ฐ์ ๋์ด์, ๋ฐ์
๊ตฌ์กฐ์ ์์ง์์ ๊ณผํ์ ์ผ๋ก ๋ถ์ํด ์ง์ง ๋์๊ฒ ๋ง๋ ์ ๋ฐ์ ์ฐพ์์ฃผ
๋ ๊ธฐ๋ฅ์ฑ ์์ฆ ์ ๋ฌธ ๋งค์ฅ์ด๋ค.
๋งค์ฅ์์๋ Aetrex์ฌ์ ์ต์ฒจ๋จ 3D Foot Scanner ์์คํ
์ ํตํด ๊ณ ๊ฐ์
๋ฐ ๊ธธ์ด, ์์น ๋์ด, ๋ฐ๋ฐ๋ฅ์ ์๋ ฅ ๋ถํฌ ๋ฑ์ ์ ๋ฐํ๊ฒ ์ธก์ ํ ์ ์๋ค.
์ด ๋ฐ์ดํฐ๋ฅผ ๋ฐํ์ผ๋ก ๋ฐ์ ๊ท ํ์ ์ก๊ณ ์ฒดํ๊น์ง ๋ฐ๋ก์ก์ ์ ์๋ ๋ง
์ถคํ ์ ๋ฐ๊ณผ ๊น์ฐฝ์ ์ถ์ฒ๋ฐ์ ์ ์์ด, ๊ฑท๋ ์ฆ๊ฑฐ์์ด ๋ฌ๋ผ์ง๋ค. ์ปดํฌ
ํธ ์์ฆ์์ ์ทจ๊ธํ๋ ์ ํ์
SAS, Dansko, Aetrex ๋ฑ ์ธ๊ณ
์ ์ผ๋ก ์ธ์ ๋ฐ์ ๊ธฐ๋ฅ์ฑ ๋ธ๋
๋๋ค๋ก, ์ถฉ๊ฒฉ ํก์, ์๋ ฅ ๋ถ์ฐ, ์์น ์ง์ง(Arch Support) ๋ฑ์
๊ธฐ๋ฅ์ด ๋ฐ์ด๋ ํ๋ฃจ ์ข
์ผ ์
์ ์ผํ๊ฑฐ๋ ์ค๋ ๊ฑท๋ ์ง์
๊ตฐ์๊ฒ๋ ํฐ ๋์์ ์ค๋ค. ์ต๊ทผ์๋ ํฌ๋ฐํ ๋์์ธ์์ ๋ฒ์ด๋ ์คํ์ผ
๊ณผ ์ปฌ๋ฌ๊น์ง ๋ค์ํ๊ฒ ์ถ์๋์ด, ์ ์ ์ธ๋๋ถํฐ ์ด๋ฅด์ ๊น์ง ๋ชจ๋์๊ฒ
์ด์ธ๋ฆฌ๋ ์ธ๋ จ๋ ์ ํ์ง๊ฐ ๋ง๋ จ๋์ด ์๋ค. ๋ํ, ๋ณ์๊ณผ ์๋น, ์์์
์ค ๋ฑ์์ ๊ทผ๋ฌดํ๋ ์ ๋ฌธ๊ฐ๋ค์ ์ํ ๊ธฐ๋ฅ์ฑ ์ ๋ํผ ๋ฐ ๋จ์ฒด ๋ง์ถค ์์ ์ ์๋ ์ ๊ณตํ๊ณ ์์ผ๋ฉฐ, ์ํ๋ ์ ๋ฐ์ด ์์ ๊ฒฝ์ฐ ์ถ๊ฐ ๋น์ฉ ์์ด ํน ๋ณ ์ฃผ๋ฌธ ์ ์๋ ๊ฐ๋ฅํ๋ค. ๋งค์ผ ์ ๋ ์ ๋ฐ์ด ๋ด ๊ฑด๊ฐ์ ํด์น๊ณ ์๋ค๋ฉด, ์ง๊ธ์ด ๋ฐ๊ฟ ํ์ด๋ฐ์ด๋ค. ๊ฑด๊ฐํ ๋ฐ๊ฑธ์์ ์ํ ํ๋ช
ํ ์ ํ- ์ปดํฌํธ
์์ฆ์์ ์์ํด๋ณด์. ์ฃผ์: 23360 Valencia Blvd. Ste. G, Santa Clarita, CA 91355, ๋ฌธ์: (661) 255-2033
๊ฑด๊ฐํ ๋ฏธ์, ํดํผ์ค๋ง์ผ ์น๊ณผ์์
์์ํ์ธ์.
์ต์ ์ฅ๋น์ ์น์ ํ ์ง๋ฃ, ์ํ๋ํธ๊น์ง ๋ฏฟ๊ณ ๋งก๊ธฐ์ธ์!
๊ฐ์กฑ ๋ชจ๋์ ๋ฐ์ ๋ฏธ์๋ฅผ ์ง์ผ์ฃผ๋ ํดํผ
์ค๋ง์ผ ์น๊ณผ์์๋ ๊ฑด๊ฐ๋ณดํ๊ณผ ๋ฉ๋์ผ์ด,
๋ค์ํ PPO ๋ณดํ์ ์ทจ๊ธํ๋ฉฐ, ์์ฝ๋ถํฐ
์ง๋ฃ๊น์ง ๋ชจ๋ ๊ณผ์ ์์ ํ์์ ํธ์์
๋ง์กฑ์ ์ต์ฐ์ ์ผ๋ก ํ๋ค.
ํนํ ํดํผ์ค๋ง์ผ ์น๊ณผ๋ ์ํ๋ํธ ์น๋ฃ
์ ๊ฐํ ์์ ๊ฐ์ ๊ฐ์ง๊ณ ์๋๋ฐ, ์์์
์น์ ๋ ์ฌ์ฉํ๋ ํ, ์ฆ ์น์์ ํฑ ๊ทผ์ก
์ ์ฌ์ฉํ์ฌ ์์์ ์๊ฒ ๋ถ์๋ ๋ฅ๋ ฅ๊ณผ
์ฌ๋ฏธ์ฑ์ ๋์์ ๋ง์กฑ์ํค๋ ์ํ๋ํธ๋
์์ฐ ์น์์ ๊ฐ์ฅ ๊ฐ๊น์ด ๋์ฒด ์น๋ฃ๋ก, ํ
๋์ ๋นํด ๋ ๋จ๋จํ๊ณ ์ค๋ ์ฌ์ฉํ ์ ์
์ธ์ ์น์๋ฅผ ๊น์ ํ์๊ฐ ์์ด ๊ตฌ๊ฐ ๊ฑด๊ฐ์ ์ ์งํ๋ ๋ฐ๋ ๋์์ด ๋๋ค. ํดํผ์ค๋ง์ผ ์น๊ณผ๋ ๋ณต์กํ ๊ตฌ๊ฐ์ธ๊ณผ ์์ ๊ณผ ์ง๋จ์ ์ํด ์น๊ณผ์ ์ฉ 3D CT ์ค์บ๋๋ฅผ ๊ฐ์ถ๊ณ ์์ผ๋ฉฐ, ์ด๋ฅผ ํตํด ์ ํํ๊ณ ์์ ํ ์ํ๋
ํธ ์์ ์ด ๊ฐ๋ฅํ๋ค. ํฑ๋ผ ์ํ, ์ ๊ฒฝ ์์น, ๋ผ์ ๋ฐ๋๊น์ง ์ ๋ฐํ๊ฒ ๋ถ
์ํ์ฌ ํ์ ๊ฐ๊ฐ์ธ์๊ฒ ์ต์ ํ๋ ์น๋ฃ ๊ณํ์ ์๋ฆฝํด๋๋ฆฐ๋ค.
๋ฟ๋ง ์๋๋ผ, ์ฌ๋ฏธ๋ณด์ฒ ๊ณผ ๋ฏธ์ฉ์น๋ฃ, ์ผ๋ฐ์น๊ณผ, ์์์น๊ณผ, ๊ตฌ๊ฐ์ธ๊ณผ, ์ ๊ฒฝ
์น๊ณผ ๋ฑ ๋ค์ํ ๋ถ์ผ์ ์ ๋ฌธ ์๋ฃ์ง์ด ํจ๊ปํด ํ ํ ์น๊ณผ ์ง๋ฃ๋ฅผ ์์คํฑ ์ผ๋ก ์ ๊ณตํ๊ณ ์๋ค.
ํดํผ์ค๋ง์ผ ์น๊ณผ์์๋ ์ ํธ๋(Aetna), ์ค์ฌ(Anthem), ํด๋ ๋ฒ์ผ์ด (Clever Care), ์์คํฐ๋ฐ(Astiva), ํด๋จธ๋(Humana), ๋ฆฌ๋ฒํฐ(Liberty), ์ ๋ ์ดํฐ๋ํฌ์ค์ผ์ด(United Healthcare) ๋ฑ. ๋ค์ํ ๋ณดํ์ ์ทจ๊ธํ๊ณ ์๊ณ , ๋ฉ๋์นผ/๋ฉ๋์ผ์ด PPO ๋ณดํ ํ์ํ๋ค.
์ข์ ์ฌ๋ฃ์ ๊ณ ํ์ง ์ง๋ฃ, ์ต์ ๊ธฐ์ , ๊ทธ๋ฆฌ๊ณ ํ์๋ฅผ ์๊ฐํ๋ ์ง์ฌ์ด ์๋ ํดํผ์ค๋ง์ผ ์น๊ณผ์์ ์จ ๊ฐ์กฑ์ ๊ฑด๊ฐํ ๋ฏธ์๋ฅผ ๋์ฐพ์๋ณด์.
๋ฌธ์ ๋ฐ ์์ฝ: 818-775-1200
๋
ธํ, ๋ง์ ์ ์์ด๋ ๋ฆ์ถ ์ ์๋ค!
์ ๋ฌธ๊ฐ ์ผ์ด๋ก ๋ค์ ์ฐพ๋ ์ ๊ณ ํ๋ ฅ ์๋ ํผ๋ถ -
40๋ ์ดํ๋ถํฐ ์์ํ ๋ํ ๋๋ ์ฃผ๋ฆ, ํ๋ ฅ ์ ํ, ์น์นํ
ํผ๋ถํค... ๋
ธํ๋ ํผํ ์ ์
์ง๋ง, ๊ทธ ์๋๋ฅผ ๋ฆ์ถ๊ณ ๊ฑด๊ฐ ํ ํผ๋ถ๋ฅผ ์ ์งํ๋ ๊ฒ์ ๊ฐ ๋ฅํ๋ค.
๋ฃจ๋น ์คํจ์ผ์ด๋ ๋
ธํ๋ก ์ธํ ํผ๋ถ ๊ณ ๋ฏผ์ ํนํ๋ ๊ธฐ๋ฅ์ฑ ์คํจ์ผ์ด ํด
๋ฆฌ๋์ผ๋ก, ๋ง์ ๊ณ ๊ฐ์๊ฒ ํ์คํ ๋ณํ๋ฅผ ์ ์ฌํด์ค๊ณ ์๋๋ฐ, ๊ณ ๊ธ ๋
์ผ ๋ฐ ํ๋์ค์ฐ ์ฌ๊ฐ๋ ์ ํ๊ณผ ์ต์ ํ ์๋
ธ์ผ์ด ์ฅ๋น๋ฅผ ์ฌ์ฉํ์ฌ, ๊ฐ์ง ์
๊ฑฐ, ๊น์ ๋ณด์ต, ์ฝ๋ผ๊ฒ ํ์ฑํ, ํผ๋ถ ์ฌ์, ๋ฆฌํํ
๊ณผ ์ฃผ๋ฆ ๊ฐ์ ๊น์ง ํ ๋ฒ
์ ๊ด๋ฆฌ๋ก ๋ค์ฑ๋ก์ด ํจ๊ณผ๋ฅผ ๊ธฐ๋ํ ์ ์๋ค. ํนํ, ๋ฌผ๊ด ํผ๋ถ ๊ด๋ฆฌ์ ํ
๋ ฅ ๋ฆฌํํ
ํ๋ก๊ทธ๋จ, ํน์ ํผ๋ถ ์ฌ์ ์ผ์ด๋ ๊ฑด์กฐํ๊ณ ํ์ ์์ ํผ๋ถ์
์๊ธฐ์ ์ค๊ธฐ๋ฅผ ๋๋๋ ค์ฃผ๋ ํต์ฌ ํ๋ก๊ทธ๋จ์ผ๋ก, ๋
ธํ ํผ๋ถ์ ์ง์ค ์ผ์ด
๋ฅผ ์ํ๋ ๋ถ๋ค์๊ฒ ๊ฐ๋ ฅ ์ถ์ฒ๋๋ค.
๋ชจ๋ ์์ ์ ์กฐ์ฉํ๊ณ ๊นจ๋ํ ๋
๋ฆฝ ๊ณต๊ฐ์์ ์ด๋ค์ง๋ฉฐ, ํผ๋ถ ์ํ์ ๊ณ
์งํ ์ ์๋๋ก ๋ค์ํ ํ๋ก๊ทธ๋จ์ ์ด์ํ๊ณ ์๋ค.
์ง๊ธ์ด ๋ฐ๋ก, ํผ๋ถ ๋
ธํ๋ฅผ ๋ฆ์ถ๊ธฐ ์ํ ์ฒซ๊ฑธ์์ ๋ด๋์ ๋์ธ๋ฐ ๋ฃจ๋น ์ค ํจ์ผ์ด์์ ์ ๋ฌธ๊ฐ์ ์ฌ์ธํ ์๊ธธ๋ก ๋ค์ ์ ๊ณ ๊ฑด๊ฐํ ํผ๋ถ๋ฅผ ๋ง๋๋ณด ์.
๋ฏผ์ ๋ฐ๋ผ 1:1 ๋ง์ถคํ์ผ๋ก ์งํ๋์ด ํผ๋ถ๋ ๋ฌผ๋ก , ๋ง์๊น์ง ํธ์ํ ํ๋ง ์ ์๊ฐ์ ๊ฒฝํํ ์ ์๋ค. ์ฒซ ๋ฐฉ๋ฌธ ๊ณ ๊ฐ์ ์ํ ํน๋ณ ํ๋ก๋ชจ์
๋ ์งํ ์ค์ด๋ฉฐ, ๋ฆฌํํ
๊ด๋ฆฌ ์ธ์๋ ์ฌ๋๋ฆ ์คํ์
์ผ์ด, ์ผ๋ฐ ์คํจ์ผ์ด, ๋ณต๋ถ/ ๋ฑ ๋ถ๋ถ ๋ฐ๋๋ผ์ธ ๊ด๋ฆฌ ๋ฑ ๋จ๋
๋
ธ์ ๋๊ตฌ๋ ํผ๋ถ์ ๋ชธ๋งค๋ฅผ ๊ฑด๊ฐํ๊ฒ ์
๋ฃจ๋น ์คํจ์ผ์ด ์์ฝ ๋ฐ ๋ฌธ์: (818) 360-0050
๋ชจ๊ธฐ์ง ์ ๋ฌธ๊ฐ, ์ผ๋น ์ค
NMLS# 1985037
๋ชจ๊ธฐ์ง ํด๋ก์ง ๊ณผ์ ์์ ๋ง์ ๋ถ๋ค์ด ์ฃผ๋ชฉํ์ง ์๋ ๋ถ๋ถ์ด ํ๋ ์์ต ๋๋ค. ๋ฐ๋ก ํ์ดํ ๋ฒ ์คํ
(Title Vesting), ์ฆ ๋ถ๋์ฐ ์์ ๊ถ์ ์ด๋ป๊ฒ ๋ฑ
๋กํ ๊ฒ์ธ์ง ๊ฒฐ์ ํ๋ ๊ณผ์ ์
๋๋ค. ์ด๋ ๋จ์ํ ์๋ฅ ์์
์ด ์๋๋ผ, ์ง
์ ์์ ํ๋ ๋ฐฉ์๊ณผ ๋ฏธ๋์ ์ฌ์ ์ , ๋ฒ์ ์ํฉ์ ํฐ ์ํฅ์ ๋ฏธ์น๋ ์ค์
ํ ๊ฒฐ์ ์
๋๋ค.
๋ฐ๋ผ์ ํ์ดํ ๋ฒ ์คํ
์ ๊ฐ๋
๊ณผ ์ฃผ์ ์ต์
์ ์ ์ดํดํ๊ณ ์ฃผํ ๊ตฌ์
๊ณผ
์ต์ ์งํ์ ํ๋ ๊ฒ์ ๋ฏธ๋์ ๋ฐ์ํ ์ฌ๋ฌ๊ฐ์ง ์ํฉ๋ค์ ๋ฏธ๋ฆฌ ๋๋นํ
๋ ์ค์ํ๊ณ ์ ์ฉํ ์ ๋ณด์
๋๋ค.
ํ์ดํ ๋ฒ ์คํ
์ด๋?
ํ์ดํ ๋ฒ ์คํ
์ ๋ถ๋์ฐ ์์ ๊ถ์ ๋ฒ์ ์ผ๋ก ๋ฑ๋กํ๋ ๋ฐฉ์์ ๋งํฉ๋
๋ค. ์ง์ ๊ตฌ๋งคํ ๋, ์์ ๊ถ์ด ๋๊ตฌ์๊ฒ ์ด๋ป๊ฒ ๊ท์๋๋์ง๋ฅผ ๊ฒฐ์ ํ๋
๊ฒ์
๋๋ค. ์๋ฅผ ๋ค์ด, ํผ์ ์์ ํ ๊ฒ์ธ์ง, ๋ฐฐ์ฐ์์ ๊ณต๋์ผ๋ก ์์ ํ ๊ฒ์ธ์ง, ๋๋ ๋ค๋ฅธ ์ฌ๋๊ณผ ์ด๋ค ํํ๋ก ๊ณต์ ํ ๊ฒ์ธ์ง๋ฅผ ์ ํฉ๋๋ค. ์ด ๋ชจ๊ธฐ์ง ํด๋ก์ง์ ํต์ฌ:
ํ์ดํ ๋ฒ ์คํ
์ ๋๋ก ์ดํดํ๊ธฐ
์ ํ์ ์์, ์ดํผ, ์ฌ๋ง, ์ธ๊ธ ๋ฑ ๋ค์ํ ์ํฉ์์ ์ค์ํ ์ํฅ์ ๋ฏธ์นฉ ๋๋ค.
๋ฏธ๊ตญ์์ ํ์ดํ ๋ฒ ์คํ
์ ์ฃผ๋ง๋ค ์ฝ๊ฐ์ ์ฐจ์ด๊ฐ ์์ง๋ง, ์ผ๋ฐ์ ์ผ๋ก
๋ช ๊ฐ์ง ํ์ค ์ต์
์ด ์์ต๋๋ค. ์๋๋ ๋ฏธ์ฃผ ํ์ธ๋ค์ด ์์ฃผ ์ ํํ๋ ์ฃผ
์ ๋ฒ ์คํ
๋ฐฉ์์
๋๋ค.
์ฃผ์ ํ์ดํ ๋ฒ ์คํ
๋ฐฉ์
1. Sole Ownership (๋จ๋
์์ )
ํ ์ฌ๋์ด ๋ถ๋์ฐ์ 100% ์์ ๊ถ์ ๊ฐ์ง๋ ๋ฐฉ์์
๋๋ค. ๋
์ ์ด๊ฑฐ๋, ๋ฐฐ์ฐ์์ ๋ณ๋๋ก ์์ฐ์ ๊ด๋ฆฌํ๊ณ ์ถ์ ๋ ์ ํฉํฉ๋๋ค.
z ์ฅ์ : ์์ ๊ถ์ด ๋ช
ํํ๊ณ , ๋ถ๋์ฐ์ ๋ํ ๋ชจ๋ ๊ฒฐ์ ์ ๋จ๋
์ผ๋ก ๋ด๋ฆด
์ ์์ต๋๋ค.
z ๋จ์ : ์์ ์๊ฐ ์ฌ๋งํ ๊ฒฝ์ฐ, ์ ์ธ์ฅ(Will)์ด๋ ์ ํ(Trust)์ด ์์ผ๋ฉด
์์ ์ ์ฐจ(Probate)๊ฐ ๋ณต์กํด์ง ์ ์์ต๋๋ค.
Business News
z ์ ํฉํ ๊ฒฝ์ฐ: ๊ฐ์ธ ์์ฐ์ ๋
๋ฆฝ์ ์ผ๋ก ๊ด๋ฆฌํ๋ ค๋ ๊ฒฝ์ฐ.
2. Joint Tenancy with Right of Survivorship (๊ณต๋ ์์ with ์์กด์ ์์ ๊ถ)
๋ ๋ช
์ด์์ด ๋ถ๋์ฐ์ ๊ณต๋์ผ๋ก ์์ ํ๋ฉฐ, ํ ๋ช
์ด ์ฌ๋งํ๋ฉด ์์กด์์ ๊ฒ ์์ ๊ถ์ด ์๋์ผ๋ก ์ด์ ๋๋ ๋ฐฉ์์
๋๋ค.
z ์ฅ์ : ์ฌ๋ง ์ ๋ณ๋์ ์์ ์ ์ฐจ ์์ด ์์ ๊ถ์ด ๋์ด๊ฐ๋๋ค. ํนํ ๋ถ
๋ถ๋ ํํธ๋์๊ฒ ์ ํฉํฉ๋๋ค.
z ๋จ์ : ๋ชจ๋ ์์ ์๊ฐ ๋๋ฑํ ๊ถ๋ฆฌ๋ฅผ ๊ฐ์ง๋ฏ๋ก, ํ ๋ช
์ด ๋ถ๋์ฐ์ ๋งค๊ฐ
ํ๊ฑฐ๋ ๋์ถ์ ๋ฐ์ผ๋ ค๋ฉด ๋ค๋ฅธ ์์ ์์ ๋์๊ฐ ํ์ํฉ๋๋ค.
z ์ ํฉํ ๊ฒฝ์ฐ: ๋ถ๋ถ๋ ์ ๋ขฐํ๋ ํํธ๋์ ํจ๊ป ์์ ํ๊ณ , ์์์ ๊ฐ์ ํํ๊ณ ์ถ์ ๊ฒฝ์ฐ.
3. Tenancy in Common (๊ณต๋ ์์ ) ๋ ๋ช
์ด์์ด ๋ถ๋์ฐ์ ์์ ํ๋, ๊ฐ์์ ์ง๋ถ ๋น์จ์ ์์ ๋กญ๊ฒ ์ ํ ์ ์๋ ๋ฐฉ์์
๋๋ค. ์ฌ๋ง ์ ์์ ์์ ์ง๋ถ์ ์ ์ธ์ฅ์ด๋ ์์๋ฒ์ ๋ฐ๋ผ
์์๋ฉ๋๋ค.
z ์ฅ์ : ์ง๋ถ์ ์์ ๋กญ๊ฒ ์ค์ ํ ์ ์์ด, ํฌ์ ๋ชฉ์ ์ด๋ ๊ฐ์กฑ ๊ฐ ์์ ๊ถ ๋ถํ ์ ์ ์ฉํฉ๋๋ค.
z ๋จ์ : ์์ ์ ์ฐจ๊ฐ ํ์ํ๋ฉฐ, ์ง๋ถ ์์์ผ๋ก ์ธํด ์์ ๊ตฌ์กฐ๊ฐ ๋ณต์กํด
์ง ์ ์์ต๋๋ค.
z ์ ํฉํ ๊ฒฝ์ฐ: ๋น์ฆ๋์ค ํํธ๋๋ ๊ฐ์กฑ ๊ตฌ์ฑ์๊ณผ ํน์ ๋น์จ๋ก ์์ ํ ๊ณ ์ถ์ ๊ฒฝ์ฐ.
4. Community Property (๋ถ๋ถ ๊ณต๋ ์ฌ์ฐ)
์บ๋ฆฌํฌ๋์, ๋ค๋ฐ๋ค ๋ฑ ์ผ๋ถ ์ฃผ์์ ๋ถ๋ถ๊ฐ ๊ฒฐํผ ์ค ์ทจ๋ํ ์์ฐ์ ๊ณต๋
์ผ๋ก ์์ ํ๋ ๋ฐฉ์์
๋๋ค.
z ์ฅ์ : ๋ถ๋ถ๊ฐ ๋๋ฑํ ๊ถ๋ฆฌ๋ฅผ ๊ฐ์ง๋ฉฐ, ์ธ๊ธ ํํ(์: ์คํ
์
์ธ ๋ฒ ์ด์
์ค)์ด ์์ ์ ์์ต๋๋ค.
z ๋จ์ : ์ดํผ ์ ์์ฐ ๋ถํ ์ด ๋ณต์กํ ์ ์์ต๋๋ค.
z ์ ํฉํ ๊ฒฝ์ฐ: ๊ฒฐํผํ ๋ถ๋ถ๊ฐ ์ฌ์ฐ์ ํจ๊ป ๊ด๋ฆฌํ๊ณ ์ถ์ ๊ฒฝ์ฐ.
ํ ์ฌํญ ํ์ดํ ๋ฒ ์คํ
์ ๊ฒฐ์ ํ ๋๋ ๋ช ๊ฐ์ง๋ฅผ ๋ฐ๋์ ๊ณ ๋ คํด์ผ ํฉ๋๋ค:
z ์์ ๊ณํ: ์์ ์๊ฐ ์ฌ๋งํ์ ๋ ๋ถ๋์ฐ์ด ์ด๋ป๊ฒ ์ฒ๋ฆฌ๋๊ธธ ์ํ๋ ์ง ์๊ฐํ์ธ์.
์๋ฅผ ๋ค์ด, Joint Tenancy๋ ์์ ์ ์ฐจ๋ฅผ ๊ฐ์ํํ์ง๋ง,
Business News
Tenancy in Common์ ์ ์ธ์ฅ์ด๋ ์ ํ์ด ํ์ํ ์ ์์ต๋๋ค.
z ์ธ๊ธ ๋ฌธ์ : ๋ฒ ์คํ
๋ฐฉ์์ ๋ฐ๋ผ ์๋ณธ ์ด๋์ธ(Capital Gains Tax)๋ ์
์์ธ(Estate Tax)์ ์ํฅ์ ๋ฏธ์น ์ ์์ต๋๋ค. ํ์์ ์ธ๋ฌด ์ ๋ฌธ๊ฐ์ ์
์ํ์๋๊ฒ ์ข์ต๋๋ค.
z ๋ฒ์ ๋ณดํธ: ์ดํผ, ์ฑ๊ถ์ ์์ก ๋ฑ ๋ฒ์ ๋ฌธ์ ์์ ์์ฐ์ ๋ณดํธํ๋ ค๋ฉด
์ ํ(Trust)์ด๋ LLC ๊ฐ์ ์ถ๊ฐ ๊ตฌ์กฐ๋ฅผ ๊ณ ๋ คํ ์ ์์ต๋๋ค.
z ์ฃผ๋ณ ์ฐจ์ด: ์บ๋ฆฌํฌ๋์์ ๋ด์ ๋ฑ ์ฃผ๋ง๋ค ๋ฒ๋ฅ ์ด ๋ค๋ฅด๋ฏ๋ก, ์ง์ญ ์ ๋ฌธ
๊ฐ์ ์์ํ๋ ๊ฒ์ด ์ค์ํฉ๋๋ค.
์ ๋ฌธ๊ฐ์ ์์ํ์ธ์.
ํ์ดํ ๋ฒ ์คํ
์ ๋จ์ํ ์ ํ์ด ์๋๋ผ, ์ฅ๊ธฐ์ ์ธ ์ฌ์ ๊ณํ์ ํต์ฌ์
๋๋ค. ์๋ชป๋ ์ ํ์ ์ธ๊ธ ๋ถ๋ด์ ๋๋ฆฌ๊ฑฐ๋ ์์ ๋ฌธ์ ๋ฅผ ๋ณต์กํ๊ฒ ๋ง๋ค ์ ์์ต๋๋ค. ๋ฐ๋ผ์ ๋ชจ๊ธฐ์ง ํด๋ก์ง ์ , ๋ถ๋์ฐ ๋ณํธ์ฌ๋ ์ธ๋ฌด ์ ๋ฌธ๊ฐ์ ์์ํ์ฌ ๋ณธ์ธ์ ์ํฉ์ ๋ง๋ ์ต์ ์ ๋ฒ ์คํ
๋ฐฉ์์ ๊ฒฐ์ ํ๋๊ฒ ์ข์ต ๋๋ค.
์ง์ ๋จ์ํ ์ฃผ๊ฑฐ ๊ณต๊ฐ์ด ์๋๋ผ ๊ฐ์กฑ์ ๋ฏธ๋์ ์ฌ์ ์ ์์ ์ ์ด์์
๋๋ค. ์ธ์์์ ๊ฐ์ฅ ํฐ ํฌ์์ด์ ์์ฐ์ด ๋ ์ ์๋ ๋ถ๋์ฐ์ ๊ตฌ์
ํ๊ณ ์ ์งํ๋ฉด์ ํ๋ช
ํ ํ์ดํ ๋ฒ ์คํ
์ ํตํด์ ๋ฏธ๋๋ฅผ ์ค๋นํ๋๊ฒ ํ๋ช
ํฉ ๋๋ค.
๋ฌธ์) ๋ชจ๊ธฐ์ง ์ ๋ฌธ๊ฐ, ์ผ๋น ์ค NMLS# 1985037 T.. 213-219-2688
All That Beauty ์คํจ์ผ์ด & ๋ฐ์๊ตฌํ์ฅ ํ๋ผ์ด๋น ๋ทฐํฐ ์ผ์ด์ ์๋ก์ด ๊ธฐ์ค, ์ค์ง ๋น์ ๋ง์ ์ํ ๋ง์ถค ๊ด๋ฆฌ
Granada Hills์ ์์นํ All That Beauty Skincare & Semi-Permanent Make-up by Sophia๋ ๊ณ ๊ฐ ํ ์ฌ๋ ํ ์ฌ๋์ ํผ๋ถ
๊ณ ๋ฏผ์ ์ฌ์ธํ๊ฒ ํ์
ํ๊ณ , ๋ง์ถคํ ํ๋ก๊ทธ๋จ์ ํตํด ๋์ ๋๋ ํผ๋ถ ๋ณ
ํ๋ฅผ ์ด๋์ด๋ด๋ ํ๋ผ์ด๋น ๋ทฐํฐ ๊ณต๊ฐ์ด๋ค.
์ ๋ฌธ ์์คํ
ํฐ์
์ํผ์ ์์ฅ์ ํ๊ตญ K-์์คํ
ํฑ์ ์ ๊ตํจ๊ณผ ์ค๋ ์ค
๋ฌด ๊ฒฝํ์ ๋ฐํ์ผ๋ก, ๋ฏธ๋ฐฑ, ์ฌ๋๋ฆ, ํ๋ ฅ, ์ง์ ๋ฑ ๋ค์ํ ํผ๋ถ ํธ๋ฌ๋ธ์
ํจ๊ณผ์ ์ธ ์๋ฃจ์
์ ์ ๊ณตํ๊ณ ์๋ค. ๊ทธ๋ฆฌ๊ณ ๊ณ ๊ธฐ๋ฅ์ฑ ์ฐํ๊ณผ ํผ๋ถ ์ธก์
์ฅ๋น๋ฅผ ํ์ฉํ์ฌ, ๊ณ ๊ฐ์ด ์ง์ ๋ณํ๋ฅผ ๋๋ ์ ์๋ ์ธ์ฌํ ๊ด๋ฆฌ๋ฅผ ์งํ
ํ๊ณ ์๋ค. ๋ฟ๋ง ์๋๋ผ, ๋ฐ์๊ตฌ ํ์ฅ์์๋ ์ธ๋ จ๋๋ฉด์๋ ์์ฐ์ค๋ฌ์ด
๊ฒฐ๊ณผ๋ฅผ ์ ์ฌํ๋ฉฐ, ๋์น, ์์ด๋ผ์ธ, ์
์ , ํค์ด๋ผ์ธ, SMP(๋ํผ ๋ฌธ์ )๊น์ง
์ ๋ฌธ์ ์ผ๋ก ์์ ํด๋๋ฆฐ๋ค.
์ด๋ฐ์ All That Beauty์์๋ ๋ง์ ๊ณ ๊ฐ๋ค์ด ๋์น๊ธฐ ์ฌ์ด ๋ฑ ํผ๋ถ ๊ด๋ฆฌ
์ ์ค์์ฑ์ ์ฃผ๋ชฉํด, ์ ๋ฌธ ๋ฑ๊ด๋ฆฌ ํ๋ก๊ทธ๋จ์ ์ ๊ณตํ๊ณ ์๋ค. ๋ฑ ๊ด๋ฆฌ๋
๋จ์ํ ๋ฏธ์ฉ์ ๋์ด ๊ฑด๊ฐ๊ณผ ์์กด๊ฐ ํ๋ณต์ ์ํ ํต์ฌ ์ผ์ด๋ค.
๋ฑ๋๋ฆ ๋ฐ ์์์นจ์ฐฉ ๊ฐ์ , ๊ฐ์ง ์ ๊ฑฐ ๋ฐ ํผ์ง ์ปจํธ๋กค, ํ์ก์ํ ์ด์ง๊ณผ
ํผ๋ก ํด์, ํ๋ ฅ ์๋
๋ฑ ํผ๋ถ๋ก ๋๋ ์คํ
ํฅ์, ์คํธ๋ ์ค ์ํ
์ ํ๋ง ํจ๊ณผ๊ฐ ์๋
๋ฑ๊ด๋ฆฌ 10ํ ํ๋ก๊ทธ๋จ
์ ์ฒ์ ์ค์ ๊ณ ๊ฐ์
ํํ์ฌ $600์ ์ ๊ณตํ๋ ํน๋ณ ํ๋ก๋ชจ์
๋ ์งํ ์ค์ด๋, ์๋ฆ๋ค์ด ๋ฑ๋ผ
์ธ๊ณผ ๊ฑด๊ฐํ ํผ๋ถ๋ฅผ ์ํ์ ๋ค๋ฉด ์ง๊ธ์ด ์ต์ ์ ํ์ด๋ฐ์ด๋ค. ๋ํ, ์๋
์น ์ฐ์ฅ, ๊ฒฝ๋ฝ ๋ง์ฌ์ง, ๋ํผ ์ผ์ด ๋ฑ ๋ค์ํ ๋ทฐํฐ ์๋น์ค๋ฅผ ํตํด ๊ณ ๊ฐ์
์ ๋ฐ์ ์ธ ์๋ฆ๋ค์๊ณผ ์์ ๊ฐ์ ์ฑ
์์ง๊ณ ์๋ค. ๋๋ง์ ์ํ ๋ทฐํฐ ๊ณต๊ฐ,
All That Beauty์์ ๋น์ ์ ์๋ฆ๋ค์์ ์์ฑํด๋ณด์.
All That Beauty Skincare & Semi-Permanent Make-up by Sophia
* 10315 Woodley Ave. #124, Granada Hills, CA 91344,
* ์์ฝ ๋ฐ ๋ฌธ์: 213-268-8900
์ฌ์ฌํ์ด
๊ธ: ์ง ์ ๋ฌธ
์๋ก์์ ๋ง๋๋ ค ์ฌํ์ ํ๋ค. ์๋ฆ๋ค์ด ํ๋ฌผ๊ณผ ์ฌ๋๋ค์ ์ธ์ ์ด ๊ทธ๋ฆฌ
์์ ๊ฐ์ด ์ค๋ ๋ฉฐ ์ง์ ๋์ ๋ค.
๋์น ๊น ๋ด ์์ธ์ญ์ ๊ตฌ๋ฆ๋ค๋ฆฌ๋ฅผ ์จ์ฐจ๊ฒ ๋ฐ์ด๊ฐ๋ ๊ธฐ์ต์ด ์๋ค.
๊ธฐ์ฐจ๊ฐ์ ๋ช
๋ฌผ์ ๋
์ฝฉ์ ์ค์ง์ด์ ์ฒ์ ํธ๋๊ณผ์๋ค.
๋์ ์ญ์์ ํ๋ ์ฐ๋์ ์จ์ฌ์ง ๋ง๊ณ ํ์
์ ํ๋ฃจ๋ฃฉ ๋ง์
์ผ ํ๋ค.
์ ์ ์ฐจ์๊ฐ์ด 5๋ถ๋ฟ์ด์๋ ์ ์๊ฐ ์์๋ค.
์ฐ ๋๋จธ ๋จ์ด์ ์ฌ๋ ์ฌ๋๋ค์ด ๊ถ๊ธํ๋ค.
์ฌ๊ธฐ๋ณด๋ค ์ ๊ธฐ๊ฐ ์๋ฆ๋ค์ ๋ณด์ธ๋ค.
๊ฝ๋ ๋ฉ๋ฆฌ์ ๋ณด์์ผ ์๋ป ๋ณด์ธ๋ค.
์์ธํ ๋ณด๋ ค ํ๋ฉด ์ํธ์ ํธ๊ตฌ๋ฉ ์ญ์ญํ๋ ๊ธ์ธ ์ง๋ ค๋ฒ๋ฆฌ๊ณ ๋ง๋ค. ์ค๋
๋ ๋ฐ์ด ๊ถ๊ธํ๊ณ ์ ์ด ๊ทธ๋ฆฌ์ ๊ทธ ๋ชจ์์ ๋ค์ด์ ๋ค.
๋๋จํ ํ๋์ ์ด๊ณ ๊ฐ์ฅ ์ฌ๋์ด ๊น์ผ๋ฉด์๋ ๊ฐ์ฅ ๋ง์ด ๋ง์ ์ฐ๋ฆฌ๋ค. ํ
์ง๋ง ๋ชธ๋ ๋ง์๋ ์ฐ์ฝํ ๋๋ฌผ๋ค์ด๋ค. ๋ฐ๋ฐ๋ฅ์ ๋ ๋ชจ๋ ํ ์์๋ ์
๋์ ๋ ์ฉ์ฉ๋งค๋ฉฐ ๋ฉ์ถ์ด ์ ๋ค. ํ๋ง๋ ๋ง์ด๋ ํ ์๋ฝ ๋๊ธธ์๋ ์์ฒ
๋ฅผ ๋ฐ์ผ๋ฉฐ ์์์ด๋ฅผ ํ๋ค. ์ธ์์ ๊ฑฐ๋จธ์ฅ ๋ฏ ํธ๊ธฐ๋ฅผ ๋ถ๋ฆฌ๋ฉฐ ๋
์ ๋ํ
๊ณ ๊ธ๋ฉ์ด๋ฅผ ์์ผ๋ฉฐ ๋จ์ ๋ฌด๋ฆ์ ๊ฟ๊ฒ ํด๋ ๋ฐํ์ ํ๋์ ์์ ๋ชธ์ง์ผ
๋ฟ์์ ๊นจ๋ซ๊ฒ ๋๋ค.
๊ณ ๊ธ ๋ฐฑํ์ ์ด๋ ๊นจ๋ํ๊ฒ ์ฐจ๋ ค ๋์ ๋ง์ผ์๋ ์ ์ด ๊ฐ์ง ์๋๋ค. ๋ง์ฅ
ํ๊ฒ ์ฐจ๋ ค ์
์ ์ฌ๋์๊ฒ ์ ๋ป ์ ๋ด๋ฐ๊ธฐ๊ฐ ๋ญํ๋ค. ํ์ด ์์ด ๋ณด์ด๋ฉด
์ฐฌ๋ฐ๋์ด ๋น๋น ๋๋ ๋๋์ ๋ฐ๋๋ค.
์์ธ ํ๋ณตํ์ ๋จ๋๋ฌธ์์ฅ์ด๋ ์ด์์ ํ๊ฒ ๋ณด์ด๋ ๋๋ด์์ฅ๋ฐ๋ฅ์ ๋
๋ํ๊ณ ์๊ทผํ ์ธ์ฌ์ด ์ฌ๋์ค๋ฝ๋ค. ์์ฃผ ์ฐพ๊ฒ ๋๋ ์ด์ ๋ค.
๊ตฌ์๊ธฐ์๋์์ ์จ ์ด๋ฐฉ์ธ์ด๋ผ ๋ถ๋ฌ๋ ํ ์ ์๋ ์ผ์ด๋ผ ๋ฏฟ๋๋ค.
If anyone of you is without sin, let him be the first to throwing a stone at
her. (๋ํฌ ๊ฐ์ด๋ฐ ์ฃ ์๋ ์๊ฐ ๋จผ์ ๋์ ๋์ ธ๋ผ. ์ํ 8์ฅ7์ .) ์ฐธ ๋ง
์ด ๋ค์ด์จ ๊ตฌ์ ์ด๋ค. ๊ฐ์ํ ์ฃ์ธ์ ๋๋ก ์ณ ์ฃฝ์ด๋ผ(cast the first stone.)
๋ชจ๋๊ฐ ์ฃ์ธ์ด๊ธฐ ๋๋ฌธ์ด๋ค. ๊ฐ์์ธ์ง ํ๊ฐ์ธ์ง ๋๋ ๋ณ์ผ์ด ์์๋์ง ํ๋จ ์๊ณ ๋ ๋ฒ๋ฆฐ ์ด๋ค์๊ฒ ์๋ก ์ฌ๋ํ๋ผ๋ ์ด์ผ๊ธฐ์ธ ๋ฏํ๋ค. ํ์ง๋ง
์ฌ๋์ ์์ด๋ณด๋ผ๋ฉด ์ด๋ ์ฒ๊ธฐ๋์ค(ๅคฉๆฉ๏ฅๆดฉ)๋งํผ ์ด๋ ค์ด ์์ ๊ฐ ๋ ํฐ
์ ๋ฉ๊ณ ๊น์ ์ฐ์ฃผ ๋คํธ์ ์จ์ด์ฌ๋ ์ฌ๋์ ๋ชจ์
์ค๋ผ ํ์๋ ์ฐธ์ผ๋ก ๊ฒ
์ฐ๋ฆฌ๋ค์ ํ๊ต์ ๊ตฐ๋ ๊ทธ๋ฆฌ๊ณ ์ ์น, ๋ฌธํ, ์ข
๊ต๋ ๋ฌผ๋ก ์ฌ๋ ์ฌํ์ง๋จ์
๋ค์ด์์ ๊ทธ ์์์ ์ ์ ๋๋๋ฉฐ ์ํํ๋ค. ๊ทธ ์์์ ์ฌ๋๋ ๋ฏธ์๋
๊ธฐ์จ ์ฌํ๋ ๋ฏฟ์ ๋ฐฐ๋ฐ๋ ๊ฒช์ด๊ฐ๋ฉฐ ํฌ๋ง์ผ๋ก ์ด์๊ฐ๋ค.
๋ชจ์์์ ๋ฐ๋ณต๋๋ ์ธํ์ด ์ง๋ฃจํด์ง๋ฉด ํ์ฐฎ์ ์ผ์ ๋ ๋ฒ๋ฆฌ๋ฉฐ ๊ฐ์ญ์
๋ง๋ค๊ณ ์
๋ฐฉ์๋ฅผ ์ฐง์ผ๋ฉฐ ์๋ถ์ฌ์ ๋๋ผ๊ธฐ๋ ํ๋ค. ๊ทธ๋ ๊ฒ ๋ผ๋ฆฌ๋ผ๋ฆฌ ์
์ ๋ ๋ฉฐ ์๊ฐ์ ์ฆ๊ธด๋ค.
์ด์ ๋ณด๋ค ๋ณ์ ๋ด์ผ์ ์ํ ์ค๋์ ๋ชจ์์ด ์ฌ์ฌํ์ด ๋
์ฝฉ์ผ๋ก ํด์ํด
๋ฒ๋ฆฐ ๋ ์ต์ ์ฌ๋์ ๋ณด๋ ๋ฏํ๋ค.
โ์ฌ๋โ์ ์ฒ์ฌ๋ค, ํ๋ ํ๋ฉด ๋ฌด์ง๊ฐ ํ๊ณ ํ๋๋ก ์ฌ๋ผ๊ฐ๋ค.
์ฌ๋ง์์ด๋ค, ๋ฌด์ ํ๋ฌ ์ฒ ์๋ฅผ ๋ฐ๋ผ์๋๊ฐ. ๋งํฌ ์ข
์ ์ด๋ค, ๊ฐ ๊ณณ์ ์ฐพ ์์ผ ํ๋ค.
์ ์ ์ ์ฒญํ์ธ์!
์๋์ด ๋ฉ๋์นผ ๋ฌด๋ฃ์ ์ฒญ ๋์๋๋ฆฝ๋๋ค.
65์ธ ์ด์ ์๋์ด๋ค์ ๋ฉ๋์นผ์๊ฒฉ์ ํฌ๋ฐ๋ฏน์ดํ ์ํ๋๊ธฐ ์์ํ์ฌ ์ง
๋ํด 2024๋
๋ถํฐ๋ ๋ณด์ ์ฌ์ฐ์ ๋ํ ์ ํ๊ท์ ๊น์ง ํ์ง๋๋ฉด์ ๊ทธ๋
์ ๋ฉ๋์นผ์ ๊ฐ๊ตฌํด์ค๋ ๋ง์ ํ์ธ ์๋์ด๋ค์ด ์๊ฒฉ์ ์ทจ๋ํ์ฌ ์ง๊ธ๊น
์ง ๋ฉ๋์นผ ํํ์ ๋ฐ์ ์ ์๊ฒ ๋์์ง๋ง, 2026๋
ํธ๋ผํ์ ๋ถ์์์ ์ฐ๋ฐฉ ์์ฐ๊ฐ์ถ ์ ์ฑ
๋ฐํ์ ๋๋ถ์ด ์บ๋ฆฌํฌ๋
์ ์ฃผ์ ๋ถ์์๋ ์์ฐ๋ถ์กฑ์ผ๋ก ์ธํ ์์ฐ์ ๋ ๋ณ๊ฒฝ์ ๋ฉ๋์นผ ์๊ฒฉ์ ์ฑ
๋ณํ๊ฐ ์๊ณ ๋์ด์์ด ์ด์ ๋ฉ๋์นผ์๊ฒฉ์ ๋ถํ์ค์ฑ์ผ๋ก ์ธํ์ฌ ์ฌ์ ํ ๋ฉ๋์นผ์ ์ํ์๋ ๋ถ๋ค์ด๋ผ๋ฉด ์ฌํด์์ ์๋๋ฌ ๋ฉ๋์นผ์ ์ฒญ์ ํ๋ ๊ฒ์ด ์ ๋ฆฌํ๋ค๊ณ ๋ณผ ์์์ต๋๋ค. ์ด๋ค ๋ณํ๋ ์
์น์ ์ผ๋ก ๊ธฐ์กด ๊ฐ์
์์๊ฒ ์๊ธํด ์ ์ฉ๋๋ ์ฌ๋ก๊ฐ ๋๋ฌผ๊ธฐ๋
๋ฌธ์ ์ ์ฑ
๋ณ๊ฒฝ์ ์ ๋ฏธ๋ฆฌ ์ ์ฒญํ์ฌ ์๊ฒฉ์ ์ป๋ ๊ฒ์ด ์ข์ ๋ฐฉ
๋ฒ์
๋๋ค.
๋ํ ๊ธฐ์กด ๋ฉ๋์นผ ๊ฐ์
์๋ค์
์ด ์๊ฒฉ์ ์ง๋ฅผ ํ์ค ์ ์๋๋ก ๋์์ ๋๋ฆฝ๋๋ค.
KCSS์๋์ด ์จ๋น์ค์์ ํนํ ์๋์ด์๊ฒ ๋์๋๋ฆฌ๋ ๋ด์ฉ์
์ด์ ๋ ์ธ์ปด์๊ฒฉ์ด ๋์ฑ ์ค์ํ๊ฒ ์ธ์๋ ๋งํผ ์์
์ธ์ปด ๋ฑ ํ์ฌ ์๋์ด ์ํ์ ๊ธฐ์ค์ ์ค๋ฒ๋ ๊ฒฝ์ฐ ์ด๊ณผ๋ ๋งํผ ๋ดํ๋ณดํ, PPO๋ณดํ๋ฑ์ ์ ๊ฑด๊ฐ๋ณดํ๋น๋ฅผ ์ง๋ถ์ผ ๋์๋๋ ค ์ด์์
์
์ค์ฌ ๋ถ๋ด๋น์ฉ์์ด ํ๋ฉ๋์นผ์ ๋ฐ์ ์ ์๋๋ก ๋์๋๋ฆฌ๋ฉฐ ๋ํ ๋ถ๋ถ์ ํฉ์ฐ ์ธ์ปด์ด ๋์ ๋ฉ๋์นผ์ ๋ฐ์ง๋ชปํ๋ ๋ถ๋ค ์ค์์ ๋ฐฐ์ฐ
์์ ์ง๋ณ์ ๋ฌด ๋๋ ๋ณ๊ฑฐ์ ๋ฌด์ ๋ฐ๋ผ ๋ฐฐ์ฐ์์ค ํ์ฌ๋๋ง ์ฑ๊ธ๋ก ๋ฉ๋ ์นผ ์ ์ฒญ๊ณผ ์๊ฒฉ์ด ๊ฐ๋ฅํ๊ฒ๋ ๋์๋๋ฆฝ๋๋ค.
์๋์ด๋ฉ๋์นผ ์ ์ฒญ์ ํ์ํ ์๋ฅ๋ ๊ฐ์ธID, ์์
์นด๋, ์๋ฏผ๊ถ(๋๋ ์ ์ฃผ๊ถ), ์์
์ฐ๊ธSSA Letter(๋ถ๊ธฐ๋น ์์
์คํผ์ค์์ ๋ฐ์ผ์๋ํธ์ง), ์ํ statement(์์
์ฐ๊ธ ์
๊ธ ํ์ธ์ฉ), Utility Bill(์ ํ๋น ๋๋ ๊ฐ์ค๋น), ๋ฉ ๋์ผ์ด์นด๋์ ๊ธฐ์กด๋ณดํ์นด๋, ํนํ ์ง๋ณ์ง๋จ์(์, ํฌ์ ๋ฑ ์ง๋ณ ๋ฌธ์ ๋ ์ต๊ทผ ํฐ์์ ๊ฒฝ๋ ฅ์ด ์๋ค๋ฉด)๋ฅผ ์ค๋นํ์๋ฉด ๋ฉ๋๋ค. ์ฐ๋ฝ์ฒ๋ KCSS ์๋์ด์จ๋น์ค๋ก ์ธ์ ๋ ๋ฌธ์ ํ์๋ฉด ์ฑ์๊ป ์๋ดํด ๋ ๋ฆฝ๋๋ค. 213-220-6620, 323-628-5376
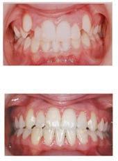
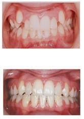
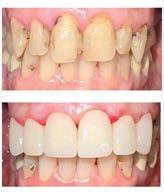
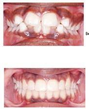
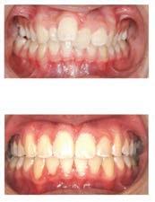
Christopher Chung, DMD
Smile Again Dental Group 818-776-9300
์๋ชธ์ด ๊ฐ๋ ค์ฐ์๋ค๋ฉด, ๊ทธ ๊ฐ์ง๋ฝ๊ณ , ๋ฐ๋๊ฑฐ๋ฆฌ๊ณ , ๋ถํธํ ๋๋์ ์์ธ์ด
๋ฌด์์ธ์ง ๊ถ๊ธํ์ค ๊ฒ๋๋ค.
์๋ชธ ๊ฐ๋ ค์์ ์ผ๋ฐ์ ์ผ๋ก ๊ตฌ๊ฐ ์์์ด ์ข์ง ์์์ ๋ฐ์ํ์ง๋ง, ๊ทธ ์ธ
์๋ ์ฌ๋ฌ ๊ฐ์ง ์์ธ์ด ์์ ์ ์์ต๋๋ค.
์๋ชธ ๊ฐ๋ ค์์ ์๋ฏธ์ ๋์ฒ๋ฒ์ ๋ํด ์์ธํ ์์๋ณด๋ คํฉ๋๋ค.
์๋ชธ ๊ฐ๋ ค์์ ๋ฌด์จ ๋ป์ผ๊น์?
์๋ชธ ๊ฐ๋ ค์์ ์ผ๋ฐ์ ์ผ๋ก ์๋ชธ ์กฐ์ง์ ๋ฌด์ธ๊ฐ๊ฐ ์๊ทน์ ์ฃผ๊ณ ์๋ค๋
์ ํธ์
๋๋ค.
๋ฐํ
๋ฆฌ์, ์๋ ๋ฅด๊ธฐ ์ ๋ฐ ๋ฌผ์ง, ์ฌ์ง์ด ์ ์น์ฝ ๋๋ฌธ์ผ ์๋ ์์ต๋๋ค.
๋คํํ ์๋ชธ ๊ฐ๋ ค์์ ์์ธ์ด ์ฌ๊ฐํ ๊ฒฝ์ฐ๋ ๋งค์ฐ ๋๋ฌผ๋ฉฐ, ๋๋ถ๋ถ์ ๊ฒฝ
์ฐ ์น๋ฃ๋ ๋งค์ฐ ๊ฐ๋จํฉ๋๋ค.
์๋ชธ์ด ๊ฐ๋ ค์ด ์ด์ ๋ ๋ฌด์์ผ๊น์?
์๋ชธ ๊ฐ๋ ค์์ ์ฃผ์ ์์ธ์ ์นํ, ์๋ชธ ์งํ, ์๋ ๋ฅด๊ธฐ, ๊ทธ๋ฆฌ๊ณ ์์ ์
๋๋ค. ์ด๋ฌํ ์์ธ๋ค์ ๊ฐ๊ฐ ๋ ์์ธํ ์ดํด๋ณด๊ฒ ์ต๋๋ค.
1. ํ๋ผ๊ทธ ์ถ์
์๋ชธ ๊ฐ๋ ค์์ฆ์ ํํ ์์ธ์ธ ํ๋ผ๊ทธ๋ ์น์์ ์๋ชธ์ ์ฃผ๋ณ์ ์์ด๋
๋์ ๋์ ํ ๋ง์
๋๋ค.
ํ๋ผ๊ทธ์๋ ์๋ชธ์ ์๊ทนํ๋ ์ฐ์ ์์ฑํ๋ ๋ฐํ
๋ฆฌ์๊ฐ ๋ง์ด ํฌํจ๋์ด
์์ต๋๋ค. ๋ฐ๋ผ์ ํ๋ผ๊ทธ๊ฐ ๋ง๊ณ ์๋ชธ์ด ๊ฐ๋ ค์ด ๊ฒฝ์ฐ, ์ด๋ฌํ ์ธ๊ท ์ด ์
์ธ์ผ ์ ์์ต๋๋ค.
ํ๋ผ๊ทธ๊ฐ ๋ง์์๋ก ์ถฉ์น์ ์๋ชธ ์งํ์ ์ํ์ด ๋์์ง๋๋ค. ๋๋ถ๋ถ์
๊ตฌ๊ฐ ๊ด๋ฆฌ ๋ฌธ์ ์ ๋ง์ฐฌ๊ฐ์ง๋ก, ํ๋ฃจ ๋ ๋ฒ ์์น์งํ๊ณ ๋งค์ผ ์น์ค์ ์ฌ์ฉ
ํ๊ณ 1๋
์ ๋ ๋ฒ ์น๊ณผ์ ๋ฐฉ๋ฌธํ๋ฉด ํ๋ผ๊ทธ๋ฅผ ์ ๊ฑฐํ๊ณ ์๋ชธ ๊ฐ๋ ค์์ฆ์ ์๋ฐฉํ๋ ๋ฐ ๋์์ด ๋ฉ๋๋ค.
2. ์๋ชธ ์งํ
ํ๋ผ๊ทธ๊ฐ ์ค๋ซ๋์ ์์ด๋ฉด ์น์์ผ ๋๋ ์ด๊ธฐ ์๋ชธ ์งํ์ด๋ผ๊ณ ํ๋ ์
๋ชธ ๊ฐ์ผ์ผ๋ก ์ด์ด์ง ์ ์์ต๋๋ค. ๊ฐ๋ ค์์ฆ์ ๊ฐ์ผ๊ณผ ์ธ์ฐ๋ ค๋ ๋ฉด์ญ ๋ฐ
์์ ์ผํ์ผ๋ก ๋ฐ์ํ ์ ์์ต๋๋ค.
์ด ๊ฒฝ์ฐ, ๊ฐ๋ ค์์ฆ์ ์๋ชธ ์งํ๊ณผ ๊ด๋ จ๋ ๋ถ๊ธฐ์ ์ถํ์ ๋นํด ๋ฏธ๋ฏธํ๊ฒ ๋๊ปด์ง ์ ์์ต๋๋ค. ๋คํํ๋ ์น๊ณผ์์ ์ฒ ์ ํ ์ค์ผ์ผ๋ง์ ๋ฐ๊ณ ์ง์ ์ ์ ๊ธฐ์ ์ผ๋ก ๊ตฌ๊ฐ ๊ด๋ฆฌ๋ฅผ ๋ฐ์ผ๋ฉด(๋งค์ผ ์ด๊ท ๊ตฌ๊ฐ ์ธ์ฒ์ ๋ฅผ ์ฌ์ฉํ๋ ๊ฒ ํฌํจ)
๋ฐ ๋์์ด ๋ฉ๋๋ค.
3. ์๋ ๋ฅด๊ธฐ ๋ฐ ๋ฏผ๊ฐ์ฑ ์๋ ๋ฅด๊ธฐ๊ฐ
๋ฉ
๋๋ค. ๊ฐ๋ ค์์ฆ์ ์ด๋ฌํ ๋ฐ์์ ์ผ๋ถ์ด๋ฉฐ, ์๋ ๋ฅด๊ธฐ๊ฐ ์๋ ์ฌ๋๋ค์
๋, ์ฝ, ํผ๋ถ ๊ฐ๋ ค์์ ์์ฃผ ๊ฒฝํํฉ๋๋ค.
์๋ชธ๋ ๋ง์ฐฌ๊ฐ์ง์
๋๋ค. ๊ตฌ๊ฐ ์๋ ๋ฅด๊ธฐ ์ฆํ๊ตฐ์ด ์๋ ์ฌ๋๋ค์ ๊ฝ๊ฐ
๋ฃจ, ๊ฒฌ๊ณผ๋ฅ, ๊ทธ๋ฆฌ๊ณ ์ผ๋ถ ์์๊ณผ ๊ฐ์ ์๋ ๋ฅด๊ฒ์ด ์๋ชธ ๊ฐ๋ ค์์ฆ๊ณผ ๋ชฉ์
๊ฐ๋ ค์, ์
์ ๋ถ๊ธฐ์ ๊ฐ์ ๋ค๋ฅธ ์๋ ๋ฅด๊ธฐ ์ฆ์์ ์ ๋ฐํ ์ ์์ต๋๋ค. ํน์ ์์, ์๋ฃ ๋๋ ๊ตฌ๊ฐ ๊ด๋ฆฌ ์ฑ๋ถ์ ๋ฏผ๊ฐํ๋ค๋ฉด, ์ญ์ทจํ๊ฑฐ๋ ์ฌ์ฉํ
๋ ์๋ชธ ๊ฐ๋ ค์์ ๊ฒฝํํ ์ ์์ต๋๋ค. ๋ํ ์์ฝ์ฌ์ด๋ ๋
ํ ํํ ๋ฌผ์ง ๊ณผ ๊ฐ์ ํน์ ์ฑ๋ถ์ ์๋ชธ์ ์๊ทนํ๊ณ ์ผ์ฆ์ ์ ๋ฐํ์ฌ ๊ฐ๋ ค์์ ์ ๋ฐ ํ ์ ์์ต๋๋ค.
์น๊ณผ์์ฌ๋ ์๋ชธ๊ณผ ์
์ ์๊ทนํ์ง ์๋ ์ฑ๋ถ์ด ๋ค์ด๊ฐ ํน์ ๊ตฌ๊ฐ ๊ด๋ฆฌ
์ ํ์ ์ถ์ฒํด ์ค ์ ์๊ณ , ์๋ ๋ฅด๊ธฐ๋ฅผ ์ง๋จํ์ฌ ์์ผ๋ก ํผํด์ผ ํ ์ ํ
์ ์๋ ค์ค ์ ์์ต๋๋ค.
4. ์์
์ฌ๋๋ ๋ฐ์น ํ ์๋ชธ์ด ๊ฐ๋ ค์ด ๊ฒ์ ํํ ์ผ์
๋๋ค. ์๊ธ๋ฌผ๋ก ํน๊ตฌ๋ ๊ฒ
์ด ๋์์ด ๋ ์ ์์ง๋ง, ๊ทธ๋๋ ํจ๊ณผ๊ฐ ์๋ค๋ฉด ์น๊ณผ ์์ฌ์ ์๋ดํ์๋
๊ฒ์ ์ถ์ฒ ๋๋ฆฝ๋๋ค.
์์ ๋ถ์ ์ฃผ๋ณ์ ๋ฌธ์ง๋ฅด๊ฑฐ๋ ๊ธ๋ ๊ฒ์ ์น์ ๊ณผ์ ์ ๋ฐฉํดํ ์ ์์ผ๋ฏ
๋ก ์ ๋ ํ์ง ๋ง์ธ์!
์๋ชธ ๊ฐ๋ ค์์ฆ ์น๋ฃ ๋ฐฉ๋ฒ
์๋ชธ ๊ฐ๋ ค์์ฆ์ ๋ํ ๊ฐ์ฅ ์ข์ ์น๋ฃ๋ฒ์ ์์ธ์ ๋ฐ๋ผ ๋ค๋ฆ
๋๋ค. ์นํ
๋ ์๋ชธ ์งํ์ด ๋ถํธํจ์ ์ ๋ฐํ๋ ๊ฒฝ์ฐ, ๊ตฌ๊ฐ ์์์ ๊ฐ์ ํ๋ ๊ฒ์ด ํฐ
๋์์ด ๋ฉ๋๋ค.
์น์ฝ๊ณผ ๋ฌด์์ฝ์ฌ ์ด๊ท ๊ตฌ๊ฐ ์ฒญ๊ฒฐ์ ๋ฅผ ์ฌ์ฉํ๋ฉด ๋ฐํ
๋ฆฌ์๋ฅผ ์ ๊ฑฐํ๊ณ
์๊ทน๋ฐ์ ์๋ชธ์ ์ง์ ์ํค๋ ๋ฐ ๋์์ด ๋ฉ๋๋ค. ์ด ๋ฐฉ๋ฒ์ด ํจ๊ณผ๊ฐ ์๊ฑฐ
๋ ์๋ชธ ์งํ์ด ๋ ์งํ๋ ๊ฒฝ์ฐ, ์น๊ณผ ์์ฌ์ ์ ๋ฌธ์ ์ธ ์น๋ฃ๋ฒ์ ์๋ดํ
์๋ ๊ฒ์ ๊ถ์ฅํฉ๋๋ค.
์๋ ๋ฅด๊ธฐ๊ฐ ์๋ ๊ฒฝ์ฐ, ํญํ์คํ๋ฏผ์ ๊ฐ ๋ฉด์ญ ๋ฐ์์ ์ต์ ํ๊ณ ์๋ชธ ๊ฐ
๋ ค์์ ์ํํ๋ ๋ฐ ๋์์ด ๋ ์ ์์ต๋๋ค. ๋ํ, ํก์ฐ์ด๋ ๋ฒ ์ดํ, ์
์ฃผ, ๋ ๋งค์ฝคํ๊ฑฐ๋ ์ฐ์ฑ์ด ๊ฐํ ์์๋ ์๋ชธ ๊ฐ๋ ค์์ ์ ๋ฐํ ์ ์์ผ๋ฏ ๋ก ์ํฉ์ ๋ณด์ ์กฐ์ ํ๋ ๊ฒ์ ์ถ์ฒ ๋๋ฆฌ๊ณ , ๊ตฌ๊ฐ ๊ด๋ฆฌ ์ ํ์ ์ดํด๋ณด ๊ณ ์๊ทน์ ์ ๋ฐํ๋ ์ฑ๋ถ์ด ์๋์ง ํ์ธํ๋ ๊ฒ์ด ์ข์ต๋๋ค.
์นํ๋ ์๋ชธ ์งํ์ด ์๋ชธ ๊ฐ๋ ค์์ฆ์ ์์ธ์ผ ๊ฐ๋ฅ์ฑ์ด ๋์ต๋๋ค. ์ด ๊ฒฝ
์ฐ, ์ฌ๋ฐ๋ฅธ ๊ตฌ๊ฐ ๊ด๋ฆฌ ์ต๊ด์ ํตํด ์ฆ์์ ํฌ๊ฒ ๊ฐ์ ํ๊ณ ๊ฐ๋ ค์์ ๊ฐ๋ผ ์ํ ์ ์์ต๋๋ค.
์๋ชธ ๊ฐ๋ ค์์ฆ์ด ํธ์ ๋์ง ์๊ฑฐ๋ ๊ณ์ ์ฌ๋ฐํ๋ ๊ฒฝ์ฐ, ์น๊ณผ์ ๊ฐ์ ์
๋ชธ๊ณผ ์น์๋ฅผ ์ ๋ฐ ๊ฒ์ฌ๋ฐ์ผ์๋ ๊ฒ์ ์ถ์ฒ ๋๋ฆฝ๋๋ค.
๋ฉ๋์ผ์ด๋ฅผ ์ฒ์ ์ ์ฒญํ๊ณ ๋ฉ๋์ผ์ด ๋น์ ์ฒ
์ ๋ฐ์์๋โ ์ ~ ๋ฉ๋์ผ์ด ํ๋ฆฌ๋ฏธ์์ด ์ด
๋ ๊ฒ ๋น์ธ์?โ ํ๋ ์ง๋ฌธ์ด ์๊ฐ๋ณด๋ค ๋ง์๊ตฌ์.
โํ๋ฌ ํ๋ฆฌ๋ฏธ์์ด ์๋๊ณ 3๋ฌ ํ๋ฆฌ๋ฏธ์์ด์์โ ํ๊ณ ๋ต์ ๋๋ ค๋ ์ค
๋งํ๋ ํ์ ์ด ๋ณด์์ด์.
9์๋ถํฐ๋ ๋ฐธ๋ฆฌ ๊ฐค๋ฌ๋ฆฌ์ ๋ง์ผ์์ ๋งค์ฃผ ํ ์์ผ 1์ 30๋ถ-4์๊น์ง ์
์ด์. ๊ถ๊ธ ํ์ ์์ผ๋ฉด ์ฝ์ํ๊ณ ์ค์
์ ๋ฌผ์ด ๋ณด์ธ์.
์ง๋ฌธ 1) 8์์ 65์ด์ด ๋์ ๋ฉ๋์ผ์ด๋ฅผ ์ ์ฒญํ์ด์.
๋ฉ๋์ผ์ด ๋น์ด ํ๋ฌ ํ๋ฆฌ๋ฏธ์ $185.00์ ๋ด๋ ์ค ์์๋๋ฐ 3๋ฌ
์น ํ๋ฆฌ๋ฏธ์ $555.00์ ๋ด๋ผ๊ณ ํด์. ํ๋ฌ์ฉ ๋ด๋๊ฑด ๊ทธ๋๋ ๊ด
์ฐฎ์๋ฐ 3๋ฌ์น๋ ๋ฌด๋ฆฌ์์. ํ๋ฌ์ฉ ๋ฉ๋์ผ์ด ํ๋ฆฌ๋ฏธ์์ ๋ผ ์
์๋์ ?
๋ต) ๋ค~ํ๋ฌ์ฉ ํ๋ฆฌ๋ฏธ์ ๋ผ ์ ์์ด์.
์์ ๋ฉ๋์ผ์ด ๋น์ ๋ณด๋ฉด ์ผ์ชฝ ์๋์ ๋ฉ๋์ผ์ด ์ด์ง ํ์ด (Medicare Easy Pay) ๋ก ๋ด๋ผ๊ณ ์์ด์. ๋ฉ๋์ผ์ด ์ด์ง ํ์ด๋ ํ๋ฌ ํ๋ฆฌ๋ฏธ์ ๋ง
๋ณด์
๋๋ค .
์ง๋ฌธ 2) 65์ด์ด ๋์ ๋ฉ๋์ผ์ด๋ฅผ ์ ์ฒญํ๊ณ
๋ต) ์์ด์ ํธ ๋ต๋ ๋ง๊ณ ์ง์ธ๋ค์ ์กฐ์ธ๋ ๋ง์์. ์ผ๋ง๋ฅผ ๋ด๋ ๊ฐ์ ๋ฉ
๋์ผ์ด๊ฐ ํ๋ฆฌ๋ฏธ์ 1๋ฌ ์ ๊ฒ ๋๋ค๊ณ ์ข
๋ฃ๋ฅผ ํ์ง ์์์. ํฌ๋ ๋ง ์นด๋
๋ ๋ฌธ์ ๊ฐ ์๊ธฐ๋ฉด ๋ช ๋ฌ ์๊ฐ์ ์ฃผ๋ ๊ฒ๊ณผ ๊ฐ์์.
1. $555์ ๋ผ๊น์? ์์ ๋ณดํํ์ฌ๊ฐ $174.70์ ๋ณด์กฐํด ์ฃผ๋ ํ๋์ด๋ฉด
๋ถ๋ด์ด ๋์๋ฉด ๋ค ์๋ด์
๋ ๋ฉ๋๋ค
2. $10.30 ๋ง ๋ด๋ ๋ ๊น์? ๊ฐ๋ฅํฉ๋๋ค๋ง 3๋ฒ์ด ๋ฐฉ๋ฒ์ด ๋ ํธํฉ๋๋ค.
๊ทธ๋ฌ๋ ์ฌ์ ๊ฐ ์ ํ ์๋ค๋ฉด $10.30 ๋ด์ธ์.
3. ํ๋ฌ $185 ๋ง ๋ด๋ ๋๋์? ๋ค
์ ๊ฐ ์ด๋ ๊ฒ ์๋ ค ๋๋ ค๋ ๊ฑฑ์ ์ด ๋๋ ๋ถ๋ค์ ์์ ํ๊ณ ๋งํธํ
Medicare Easy Pay๋ฐฉ๋ฒ์ ์ด์ฉํ์ธ์.
์์ ๋ฉ๋์ผ์ด ๋น์ ๋ณด๋ฉด ์์์ 5๋ฒ์งธ ๋ถํฐ 8๋ฒ์งธ ์ค์ ๋ฉ๋์ผ์ด ์ด์ง
ํ์ด (Medicare Easy Pay)๋ก ๋ด๋ผ๊ณ ๋์ด์์ด์. ๋งค๋ฌ ๋ด์ผํ ํ๋ฆฌ๋ฏธ
์ ์ก์๊ฐ ๋์ค๊ณ ํ๋ฌ ํ๋ฆฌ๋ฏธ์์ ์ํ ์๊ณ ์์ ๋นผ ๊ฐ์ ธ ๊ฐ๋๋ค.
์๋ฅผ ๋ค๋ฉด ์ ์๋์ด 6์์ ๋ฉ๋์ผ์ด๋ฅผ ๋ฐ์๋ $174.70์ ๋ณด์กฐํด์ฃผ๋
ํ๋์ ๊ฐ์
ํ๊ณ $10.30์ ๋์ด์. ๊ทธ๋ฐ๋ฐ ์ฃผ์์ ์ง์ธ๋ค์ด $555์ ์
๋๋ค๊ณ ๋ฉด๋ฐ์ ์ค์ ์ ์๊ฒ 7์ 10์ผ๊ฒฝ์ ์ฐ๋ฝ์ด ์์ด์. ์๋๊ณผ ๊ฐ์ด
์ปดํจํฐ๋ก ์ด์งํ์ด๋ฅผ ๋ดค๋๋ 7์ ๋น $10.30๋ง ๋ด๋ผ๊ณ ๋์์ด์. ์๋
๋ ์ ๋ ์์ฌ์ด ๋ฌ์ด์.
์ปดํจํฐ๋ฅผ ๋ชปํ๋๋ฐ ๋๊ฐ ํด์ฃผ๋๊ณ ์? ์ฐ์ ์ ์์์ด๋ ์น์ฒ, ์น๊ตฌ์๊ฒ
๋ถํํด๋ณด๊ณ ๋ง์ง๋ง์๋ ๋ณดํ ์์ด์ ํธ์๊ฒ ์
์
๋ถํํ์ธ์.^^
SSI
์ง๋ฌธ 2) ๋ฉ๋์นผ ๋ฉ๋์ผ์ด๋ฅผ ๊ฐ์ง๊ณ ์๋ ๋ถ๋ถ๊ป์ ์ฐ๋ฝ์ ์ฃผ์
จ
์ด์. ์ด ํ๋ฌ ์ธ์บ์ $1400, ์ฐจ ํ๋, ์๋์ด ์ํํธ์ ํ์ฌ
์ด๊ณ ์์ด์. SSI ์ ์ฒญ์ด ๊ฐ๋ฅํ๊ฐ์?
๋ต) ๊ฐ๋ฅ ํฉ๋๋ค.
๋ค๋ฅธ ์กฐ๊ฑด์ด ๋ง์์ผ ํฉ๋๋ค๋ง 1% ๋ง ๊ฐ๋ฅํด๋ ์ ์ฒญ ์ํ๋๊ฒ ๋ณด๋ค๋
์ ์ฒญํ๋๊ฑธ ์ถ์ฒ ๋๋ ค์ SSI (Supplemental Security Income, ์ํ ๋ณด์กฐ ๊ธ, ์ฐํ์ด)๋ ๋ฉ๋์นผ์ด ์๋ฃ๋น๋ฅผ ๋์์ค๋ค๋ฉด SSI๋์์ฌ๋น, ์ฃผ๊ฑฐ๋น ๋ฑ
๊ธฐ๋ณธ ์ํ๋น ์ง์์ ํด ์ฃผ๋ ํ๋ก๊ทธ๋จ์ด์์ ์๋ ์กฐ๊ฑด์ ๊ฒํ ํ์ธ์.
์ง๋ฌธ 3) ๋์ ์ฃผ์๋ ๊น์ ์ ์ฒญ๋ฐฉ๋ฒ๋ ์๋ ค ์ฃผ์ธ์ ?
๋ต) SSI ์ ์ฒญ์ 3๊ฐ์ง ๋ฐฉ๋ฒ์ด ์์ด์.
1์์
์ํ๋ฆฌํฐ (Social Security Administration) ์คํผ์ค์ ์ง์ ๋ฐฉ๋ฌธ
ํด์ ์ ์ฒญํ๋ ๋ฐฉ๋ฒ~ ์ฝ์ํ๊ณ ๊ฐ์ธ์.
2 SSA ์น์ฌ์ดํธ์์ ์จ๋ผ์ธ ์ ์ฒญํ๋ ๋ฐฉ๋ฒ
3. ์ ํ (800-772-1213) ๋ฅผ ํด์ ์ ์ฒญํ๋ ๋ฐฉ๋ฒ
** ์์์ด๋ ์ปดํจํฐ๋ฅผ ์ํ๋ ๋ถ์ด ๋์์ฃผ๋ฉด ์จ๋ผ์ธ ์ ์ฒญ์ด ํธํด์.
๊ทธ๋ฌ๋ ์๋์ด๋ค์ ์์
์คํผ์ค๋ฅผ ๋ฐฉ๋ฌธํ์
์ ์ ์ฒญํ๋๊ฒ๋ ๊ด์ฐฎ์์.
** ํ์ํ ์๋ฅ๋ฅผ ์ค๋นํ์ธ์ : ์๋๊ณผ ์์ฐ ์ฆ๋น ์๋ฃ, ์๋ฏผ๊ถ ๋๋ ๋น
์๋ฏผ๊ถ ์ฆ๋น, ์ฅ์ ์์ฆ๋ช
๋ฑ ์๋ฅ๋ฅผ ์ค๋นํด์ ๊ฐ์ฃผ ๊ฐ์ธ์
์ง๋ฌธ 4) SSI ์๊ฒฉ ์กฐ๊ฑด์์?
๋ต) ์๋๊ณผ ์์ฐ์ด ์ค์ํด์.
์์ฐ์ ์ฌ๋ ์ง, ์ฐจ1๋ ๋ฅผ ์ ์ธ ํ๊ณ ๊ฐ์ธ์ $2000 ,๋ถ๋ถ๋ $3000 ์ดํ
์ฌ์ผ ํฉ๋๋ค.
65์ธ ์ด์ ์ฅ์ ์ธ, ๊ณ ๋ น์, ๋งน์ธ ์ด์ด์ผ ํฉ๋๋ค. ๋จ, ์๋ฏผ๊ถ์ ,ํน์ ๋น์
๋ฏผ๊ถ์, ๋ฏธ๊ตญ์ ๊ฑฐ์ฃผ ํ๋ ๋ถ๋ง ๋ฉ๋๋ค.
์ง๋ฌธ 5) SSI๋ณด์กฐ๊ธ ์ก์๋ฅผ ์๊ณ ์ถ์ด์ ?
๋ต) ์บ๋ฆฌํฌ๋์๋ ์ฐ๋ฐฉ์ ๋ถ ๋ณด์กฐ๊ธ + ์บ๋ฆฌํฌ๋์์ฃผ Supplemental Security Payment (SSP) ์ถ๊ฐ ๋ณด์กฐ๊ธ ์ ์ค๋๋ค.
2025๋
์ฐ๋ฐฉ ์ ๋ถ ๋ณด์กฐ๊ธ (FBR) : ๊ฐ์ธ ์ $967, ๋ถ๋ถ ์ $1,450
2025๋
์บ๋ฆฌํฌ๋์ ๋ณด์กฐ๊ธ(SSP): ๊ฐ์ธ ์ $239.94 FBR+SSP ์ด์ก: ๊ฐ์ธ $1,206.94, ๋ถ๋ถ ์ $1,450 (FBR)+์ก์๊ฐ ๋ค์ํจ.
๊ถ๊ธํ์ ์์ผ์๋ฉด ์กฐ์ค ํ ์๋์ด ๋ณดํ์์ด์ ํธ 818-606-9486์ผ๋ก ์ฐ๋ฝ์ฃผ์ธ์.
์ง๋์ฃผ, ํ ํ๊ตญ์ธ ์ด๋จธ๋๊ฐ ์ ๊ฒ ๋
๋ฌผ์ ํ๋ฆฌ๋ฉฐ ์ ํํ์ต๋๋ค.
๋ธ์์ด๊ฐ ๋ง์ ์ฑ์ ์ผ๋ก 12ํ๋
์ ์
์ํ์ง๋ง, "demonstrated interest(๋ ๋ ทํ ๊ด์ฌ)"๊ณผ "summer research opportunities(์ฌ๋ฆ๋ฐฉํ์๊ธฐ ์ฐ๊ตฌ๊ธฐ
ํ)"๋ผ๋ ๊ฒ์ ๋ํด ๋ง ์๊ฒ ๋ ์ฐธ์ด
์์ต๋๋ค. "์ ์๋ฌด๋ ์ด ์ฌ์ค์ ๋ฏธ๋ฆฌ
์๋ ค์ฃผ์ง ์์๋์?"๋ผ๊ณ ๊ทธ๋
๋ ๋ฌผ
์์ต๋๋ค. "์ฐ๋ฆฌ๊ฐ ๋๋ฌด ๋ฆ์๋์?"
์ฌ์ค, ์ฑ๊ณต์ ์ธ ๋ํ ์งํ ์ค๋น๋ ๋๋ถ
๋ถ์ ์ด๋ฏผ์ ๊ฐ์ ์ด ๊ฒฐ์ฝ ์์ง ๋ชปํ๋
์จ๊ฒจ์ง ์ผ์ ํ๋ฅผ ๋ฐ๋ฆ
๋๋ค. ์๋
์ ๋ฐ ์น๊ตฌ๋ค์ ๊ทธ ์์คํ
์ ์๋ฌด ์ด๋ ค
์ ์์ด ํค์ณ ๋๊ฐ๋ ๊ฒ์ฒ๋ผ ๋ณด์ผ์ง ๋ชจ๋ฅด์ง๋ง, ๊ทธ ๊ฐ์กฑ๋ค์ ์ข
์ข
๋ฏธ๊ตญ์
์ ๋ํ์ ๋์จ ํ์ ์๋งค, ๊ฐ์กฑ ์น๊ตฌ, ๋๋ ๋ถ๋ชจ๋ก๋ถํฐ ๋ด๋ถ ์ ๋ณด๋ฅผ ๋ฌผ
๋ ค๋ฐ์์ต๋๋ค.
์ค๋ ์ ๋ ๊ทธ ์ผ์ ํ๋ฅผ ์ฌ๋ฌ๋ถ๊ณผ ๊ณต์ ํ๊ณ ์ถ์ต๋๋ค.
๋งค๋
๋ฌด์์ ์ง์คํด์ผ ํ ์ง ์๋ฉด, ์๋
๋ UCLA, UC ๋ฒํด๋ฆฌ, ์คํ ํผ๋, ๋๋ ์์ด๋น๋ฆฌ๊ทธ ๋ํ ์
ํ์ ์ํด ๋๊ตฌ์๋ ๊ฒฝ์ํ ์ ์๊ธฐ ๋๋ฌธ์
๋ ๋ค.
9ํ๋
: ๊ธฐ์ด๋ฅผ ๋ค์ง๋ ์๊ธฐ ๋๋ถ๋ถ์ ๋ถ๋ชจ๋๋ค์ด ์๊ฐํ๋ ๊ฒ: "๋ํ ์งํ ๊ฑฑ์ ์ ์์ง ์ด๋ฅด๋ค."
์ฑ๊ณตํ๋ ๊ฐ์ ์ด ์๋ ๊ฒ: ์ด ์๊ธฐ๊ฐ ์ง์ง ์ค๋น๊ฐ ์์๋๋ ์๊ธฐ์
๋๋ค.
์ง์คํด์ผํ๋ ํ์
* ์๋
๊ฐ A ํ์ ์ ์ ์งํ๋ฉฐ ๊ฐ๋นํ ์ ์๋ ๊ฐ์ฅ ๋นก๋นกํ ์ผ์ ์ ์ ํ ํ์ธ์.
* ๊ฐ๋ฅํ๋ค๋ฉด AP ๋๋ Honors ์์
1~2๊ฐ๋ถํฐ ์์ํ์ธ์.
* ํํํ ๊ณต๋ถ ์ต๊ด์ ๊ธฐ๋ฅด๋ ๋ฐ ์ง์คํ์ธ์. ์ง๊ธ์ ์๋ฒฝํ ์ฑ์ ๋ณด๋ค ๋ ์ค์ํฉ๋๋ค.
* ์๋
๊ฐ ์์ด ์๋ฌธ์ ์ด๋ ค์์ ๊ฒช๋๋ค๋ฉด ์ฆ์ ๋์์ ๋ฐ์ผ์ธ์(๋์ค์ ๋ชจ๋ ๊ฒ์ ์ํฅ์ ๋ฏธ์นฉ๋๋ค).
ํ๋ ๋ฐ ํ๊ตฌ
* ์ง์ ํ ๊ด์ฌ์ฌ๋ฅผ ์ฐพ๊ธฐ ์ํด 3~4๊ฐ์ง ํ๋์ ์๋ํด ๋ณด์ธ์.
* 4๋
๋์ ๊พธ์คํ ํ ์ ์๋ ํ๋์ ํ๋ ์ฐพ์๋ณด์ธ์.
* ๋์ค์ ์ถ์ฒ์๋ฅผ ์จ ์ค ์ ์๋๋ค๊ณผ ๊ด๊ณ๋ฅผ ์์ผ์ธ์.
* ์ฑ์ทจ๋๋ฅผ ๊ธฐ๋กํ๊ธฐ ์ํ ๊ฐ๋จํ "ํ๋ ๊ธฐ๋ก๋ถ"๋ฅผ ์์ฑํ์ธ์(๋์ค์
๋ ์์ธํ ๋ด์ฉ์ ์์ด๋ฒ๋ฆด ์ ์์ผ๋ ์ฃผ์ํ์ธ์).
๋น๋ฐ์ค๋ฌ์ด ์ฅ์
์ผ์ฐ๋ถํฐ ์ง๋ก์ ์ ๊ณต์ ์กฐ์ฌํ์ธ์. ๋ช
๋ฌธ๋์ ์งํํ๋ ํ์๋ค์ 11 ํ๋
์ฏค์๋ ๋ช
ํํ ๋ฐฉํฅ ๊ฐ๊ฐ์ ๊ฐ๋ ๊ฒฝ์ฐ๊ฐ ๋ง์ต๋๋ค. 9ํ๋
์ ํ์ฉํ
์ฌ ํ๊ตฌํ์ธ์.
10ํ๋
: ์ฑ์ฅ์ ์๊ธฐ
*๋๋ถ๋ถ์ ๋ถ๋ชจ๋๋ค์ด ์๊ฐํ๋ ๊ฒ: "์ฑ์ ์ ์ง์คํ๊ณ SAT ์ค๋น๋ ์
์ํด ๋ณด์ธ์."
*์ฑ๊ณตํ๋ ๊ฐ์ ์ด ์๋ ๊ฒ: 10ํ๋
์ ๋ฆฌ๋์ญ์ ๊ธฐ๋ฅด๊ณ ์ ๋ฌธ์ฑ์ ์๊ธฐ
์ข์ ์๊ธฐ์
๋๋ค.
ํ์
์ฐ์ ์์
* ์๋
๊ฐ 9ํ๋
๋ ํ์
๋์ ์ ์ํํ๋ค๋ฉด AP ์์
2~3๊ฐ ์๊ฐ
* ํ์คํ ์ํ ์ค๋น ์์ (10์ PSAT, ๋ด ์ํ์ ์ํ SAT/ACT ์ค๋น
์์)
* GPA 3.8 ์ด์ ์ ์ง - 11ํ๋
์ฑ์ ์ด ๊ฐ์ฅ ์ค์ํด์ ๋ค์ฒ์ง ์ฌ์ ๊ฐ ์ ์ต๋๋ค.
ํ๋ ๋ฐ ๋ฆฌ๋์ญ
* ์ง์งํ๊ฒ ์ง์คํ 2~3๊ฐ์ง ํ๋์ ์ ํํ์ธ์. (๋ค๋ฅธ ํ๋์ ์ ์ธ)
* ๋ฆฌ๋์ญ์ ๋ฐํํ๊ฑฐ๋ ์์ ๋ง์ ๊ธฐํ๋ฅผ ๋ง๋ค์ด ๋ณด์ธ์.
* ์ฌ๋ฆ ๋ฐฉํ ๊ณํ์ ์ธ์๋ณด์ธ์: ํ๋ก๊ทธ๋จ, ์ธํด์ญ, ๋๋ ์๋ฏธ ์๋ ํ๋
* ์๋
์ ๊ด์ฌ์ฌ์ ๊ด๋ จ๋ ๋ถ์ผ์์ ๋ด์ฌ ํ๋์ ์์ํ์ธ์. (๋จ์ํ ์๊ตฌ์กฐ๊ฑด์ ์ถฉ์กฑํ๊ธฐ ์ํ ํ๋์ด ์๋๋๋ค)
์ค์ํ ์ฌ๋ฆ
10ํ๋
์ดํ์ ์ฌ๋ฆ ๋ฐฉํ์ ๋งค์ฐ ์ค์ํฉ๋๋ค. ์ฑ๊ณต์ ์ธ ํ์๋ค์ด ๊ฐ์ถฐ ์ผ ํ ์กฐ๊ฑด์ ๋ค์๊ณผ ๊ฐ์ต๋๋ค.
* ๊ฒฝ์๋ ฅ ์๋ ์ฌ๋ฆ ํ๋ก๊ทธ๋จ ์ฐธ์ฌ
* ์๋ฏธ ์๋ ์ฐ๊ตฌ ํ๋ก์ ํธ ์์
* ์ด์ ์ ์ธ ์ปค๋ฎค๋ํฐ ํ๋ก์ ํธ ์ฐธ์ฌ
* ์ด์ค ๋ฑ๋ก ๊ณผ์ (์ปค๋ฎค๋ํฐ ์นผ๋ฆฌ์ง ์์
) ์๊ฐ
11ํ๋
: ์ฑ๊ณต๊ณผ ์คํจ๋ฅผ ๊ฐ๋ฅด๋ ํ ํด
*๋๋ถ๋ถ์ ๋ถ๋ชจ๋๋ค์ด ์๊ฐํ๋ ๊ฒ: "์ฑ์ ๊ด๋ฆฌ์ SAT ์ํ์ ์ง์คํ ์ธ์."
์ฑ๊ณตํ๋ ๊ฐ์ ์ด ์๋ ๊ฒ: ์ฌํด๊ฐ ๋ชจ๋ ๊ฒ์ ๊ฒฐ์ ํฉ๋๋ค.
ํ์
์ฐ์์ฑ
* AP ์์
3~5๊ฐ ์๊ฐ (๋จ, GPA๋ฅผ ์์
๋ ๋๋ฌธ์ ํฌ์ํ์ง ๋ง์ธ์)
* ๋ด ํ๊ธฐ๊น์ง ๋ชฉํ SAT/ACT ์ ์ ๋ฌ์ฑ (ํ์ํ ๊ฒฝ์ฐ ์ฌ๋ฌ ๋ฒ ์๊ฐ)
* ๊ฐ๋ฅํ ํ ๋์ GPA ์ ์ง - ๋ํ์ ๊ฐ์ฅ ์ค์ํ ์ ์
* ์ถ์ฒ์๋ฅผ ์จ ์ค ์ ์๋๋ค๊ณผ ๋๋
ํ ๊ด๊ณ ๊ตฌ์ถ
์ง์ ํ ๊ฒฝ์
์ง๊ธ์ฏค ์๋
๋ ๋ค์๊ณผ ๊ฐ์ ์ญ๋์ ๊ฐ์ถฐ์ผ ํฉ๋๋ค.
* ๋ช
ํํ "์ฃผ์ " ๋๋ ์ ๋ฌธ ๋ถ์ผ (์ ์ ๊ฑด๊ฐ, ์ํ์ฆ, ์ด๋ฏผ ๋ฌธ์ ๋ฑ)
* ์ฃผ์ ํ๋์์ ๋ฆฌ๋์ญ์ ๋ฐํํ ๊ฒฝํ
* ํ๊ต ์ธ์ ์ธ ์ธ์ (์์, ์ถํ๋ฌผ, ์ธ๋ก ๋ณด๋) * ์ฑ์ฅ๊ณผ ์ํฅ๋ ฅ์ ๋ณด์ฌ
Education
์ฃผ๋ ๋งค๋ ฅ์ ์ธ ์๊ธฐ์๊ฐ์
12ํ๋
์ ์ฌ๋ฆ: ๋น๋ฐ ๋ณ๊ธฐ
์ฌ์ฌ๋ฆ์ ์ฑ๊ณต์ ์ธ ๊ฐ์กฑ์ด ์์ ๋๊ฐ๋ ์๊ธฐ์
๋๋ค.
* ๋ํ ์์ธ์ด๋ฅผ ์ผ์ฐ ์์ํ์ธ์. (8์์ด ์๋ 6์์ ์์ํ์ธ์)
* ๊ฒฝ์๋ ฅ ์๋ ์ธํด์ญ์ด๋ ์ฐ๊ตฌ ํ๋ก๊ทธ๋จ์ ์ง์ํ์ธ์.
* ์ฌ๋ฆ๋ฐฉํ ์ ์ ์ ์๋๋ค์๊ฒ ์ถ์ฒ์๋ฅผ ์์ฒญํ์ธ์.
* ๋ํ์ ๋ฐฉ๋ฌธํ์ฌ ๊ด์ฌ ๋ถ์ผ๋ฅผ ๋ณด์ฌ์ฃผ์ธ์.
* ์์ , ๋ชฉํ, ๊ทธ๋ฆฌ๊ณ ํ๊ต ์ ๊ทผ์ฑ์ ๊ณ ๋ คํ์ฌ ๋ํ ๋ชฉ๋ก์ ์์ฑํ์ธ์.
12ํ๋
: ์คํ์ ํด
๋๋ถ๋ถ์ ๋ถ๋ชจ๋๋ค์ด ์๊ฐํ๋ ๊ฒ: "๋๋์ด ์ง์ํ ๋๊ฐ ๋๋ค!"
์ฑ๊ณตํ๋ ๊ฐ์ ์ด ์๋ ๊ฒ: ์ค๋น๋ ์ด๋ฏธ ๋ค์ ธ์ ธ ์์ด์ผ ํฉ๋๋ค.
๊ฐ์ ์ฐ์ ์์
* ์กฐ๊ธฐ ์ง์ (UC ๊ณ์ด์ 10์, ์ฌ๋ฆฝ๋๋ 11์)
* ์ฑ์ ์ฐ์ ์ฅํ๊ธ์ ๋ณ๋ ์ง์์ ์ ์ถ
* ๋์ ์ฑ์ ์ ์ง (๋ํ์ ์ค๊ฐํ๊ธฐ ์ฑ์ ์ ๋ด
๋๋ค.)
* ์ฌ๋ฆฝ๋์ ๋ํ "๋๋ ทํ ์์ง"๋ฅผ ๋ฐฉ๋ฌธ ๋ฐ ์ฐ๋ฝ์ ํตํด ๋ณด์ฌ์ฃผ๊ธฐ
๊ธฐ๋ค๋ฆฌ๋ ๊ฒ์
* 12~15๊ฐ ๋ํ ์ง์: ํฉ๊ฒฉ์ด ์์ ํ ํ๊ต 4~5๊ฐ, ๋ชฉํํ ํ๊ต 6~8๊ฐ,
๊ฐ๋ฅํ ํ๊ต 3~4๊ฐ
* UC ๊ณ์ด: ๊ธฐํ๋ฅผ ๊ทน๋ํํ๊ธฐ ์ํด ์ต์ 6~8๊ฐ ์บ ํผ์ค์ ์ง์
* ์ด์ ์ ์ธ ํ๋ก์ ํธ๋ฅผ ์ง์์ ์ผ๋ก ์ถ์งํ๊ธฐ - ๋ํ์์ ๋๋๋ก ์
๋ฐ
์ดํธ๋ฅผ ์์ฒญํ๊ธฐ๋ ํจ
* ํ์ํ ๊ฒฝ์ฐ ๋ฉด์ ์ค๋น
์ํฅ์ ๋ฏธ์น๋ ์ค์๋ค
์๋ฐฑ ๋ช
์ ๊ฐ์กฑ๊ณผ ํจ๊ป ์ผํ๋ฉด์ ์ ๋ ๋ค์๊ณผ ๊ฐ์ ๊ฐ๋น์ผ ์ค์๋ฅผ ๋ชฉ๊ฒฉ ํ์ต๋๋ค.
Education
* ๋๋ฌด ๋ฆ๊ฒ ์์ํ๊ธฐ: 11ํ๋
์ ์
ํํ๋ ๊ฐ์ ์ ๋ฆฌ๋์ญ ๊ฐ๋ฐ ๋ฐ ์ฌ๋ฆ
ํ๋ก๊ทธ๋จ ์ฐธ์ฌ๋ฅผ ์ํ ์ค์ํ ๊ธฐํ๋ฅผ ๋์นฉ๋๋ค.
* ์ฑ์ ์๋ง ์ง์คํ๊ธฐ: ์๋ฒฝํ GPA๊ฐ ๋ ์ด์ ์
ํ์ ๋ณด์ฅํ์ง ์์ต๋ ๋ค. UCLA์ ํฉ๊ฒฉํ๋ ํ์๋ค์ ์ข
์ข
ํฅ๋ฏธ๋ก์ด ์ฌ์ฐ๊ณผ ๋ฆฌ๋์ญ ๊ฒฝํ์ ๊ฐ์ง๊ณ ์์ต๋๋ค.
* ์์ ์ง๋ ๊ณผ์ํ๊ฐ: UC ๋ฆฌ๋ฒ์ฌ์ด๋์ UC ๋จธ์ธ๋ ์กฐ์ฐจ๋ ๊ฒฝ์์ด ์น์ด ํด์ก์ต๋๋ค. ํญ๋๊ฒ ์ง์ํ์ธ์.
* ์ผ๋ฐ ์ง์์: ๋ชจ๋ ์์ธ์ด๋ ๋น์ทํ๊ฒ ๋ค๋ฆฝ๋๋ค. ์ฑ๊ณตํ๋ ๊ฐ์กฑ๋ค์
์๋
๊ฐ ์์ ๋ง์ ๋ชฉ์๋ฆฌ์ ์ด์ผ๊ธฐ๋ฅผ ์ฐพ๋๋ก ๋์ต๋๋ค.
์๋
์ ๋ฏธ๋
์๋
๊ฐ 9ํ๋
์ด๋ 10ํ๋
์ด๋ผ๋ฉด ์๋ฒฝํ ๊ธฐ๋ฐ์ ๋ค์ง ์๊ฐ์ด ์์ต๋๋ค.
ํ๊ตฌ์ฌ, ๊ด๊ณ ํ์ฑ, ๊ทธ๋ฆฌ๊ณ ์ด์ ์ ์ฐพ๋ ๋ฐ ์ง์คํ์ธ์.
์๋
๊ฐ 11ํ๋
์ด๋ผ๋ฉด ์ด๋ฒ ์ฌ๋ฆ๋ฐฉํ์ด ๋งค์ฐ ์ค์ํฉ๋๋ค. ์๋
๋ง์ ๋
ํนํ ์ด์ผ๊ธฐ๋ฅผ ๋ฐ์ ์ํค๊ณ ์ง์ ์ ์ฐจ๋ฅผ ์ผ์ฐ ์์ํ๋๋ก ๋์์ฃผ์ธ์.
์๋
๊ฐ 12ํ๋
์ด๋ผ๋ฉด, ์์ ์ ์ฑ๊ณผ๋ฅผ ํจ๊ณผ์ ์ผ๋ก ์ ์ํ๊ณ ์ ํ์ง๋ฅผ
์ต๋ํ ๋ํ๋ ๋ฐ ์ง์คํ์ธ์.
๋ค์ด์ผ ํ ํฌ๋ง
๋ํ ์
์๋ ๊ทธ ์ด๋ ๋๋ณด๋ค ๊ฒฝ์์ด ์น์ดํฉ๋๋ค. ํ์ง๋ง ํ๊ตญ ๊ฐ์ ์ ๋ฐ
์ด๋ ์ฅ์ ๋ค์ ๊ฐ์ง๊ณ ์์ต๋๋ค.
๋ฐ๋ก ๊ฐํ ์ง์
์ค๋ฆฌ, ๊ฐ์กฑ์ ์ง์, ๊ทธ๋ฆฌ๊ณ ๋์ ํ์
์ฑ์ทจ๋์
๋๋ค. ์ด
๋ฌํ ์ฅ์ ๋ค์ ์ ๋ต์ ๊ณํ๊ณผ ์กฐ๊ธฐ ์ค๋น์ ๊ฒฐํฉํ๋ค๋ฉด, ์๋
๋ ๋ฏธ๊ตญ ์ต
๊ณ ์ ๋ํ ์
ํ์ ์ํด ๋ถ๋ช
๊ฒฝ์ํ ์ ์์ต๋๋ค.
์ค์ํ ๊ฒ์ ์ผ์ฐ ์์ํ๊ณ ๋ฌด์์ด ์ ๋ง ์ค์ํ์ง ์ดํดํ๋ ๊ฒ์
๋๋ค.
์ด์ ์๊ฐํ๋ฅผ ๊ฐ๊ฒ ๋์์ต๋๋ค.
๋ฌธ์ ๋ ์ธ์ ๋ถํฐ ์์ํ๋๊ฐ ์
๋๋ค. ์ฅ์คํผ๋ ์๋์ผ์ด์
์ 25๋
๋ ๊ฒ ํ์๋ค์ ๋ช
๋ฌธ๋ ์งํ์ ๋์์์ต๋๋ค. ๊ทํ์ ์๋
์ ๊ฟ๋ ์ด๋ฃฐ ์
์๋๋ก ๋์๋๋ฆฌ๊ฒ ์ต๋๋ค.
Sale,
๊ผญ ์์์ผ ํ ์ข
๋ฅ์ ์ฐจ์ด์
์์ฆ์ฒ๋ผ ๊ธ๋ฆฌ๊ฐ ๋๊ณ ์ฃผํ๋ด๋ณด๋์ถ ์ํ์ด ๋ถ๋ด์ค๋ฌ์์ง ์์ฅ์์๋, ๊ฐํน ์ฃผํ์ด โ๊ฒฝ๋งค์ ๋์๋คโ, ๋๋ โํธ๋ฌ์คํฐ ์ธ์ผ(Trustee Sale)์
๋ถ์ฌ์ก๋คโ๋ ์ด์ผ๊ธฐ๋ฅผ ๋ฃ๊ฒ ๋ฉ๋๋ค.
ํธ๋ฌ์คํฐ ์ธ์ผ์ ๋ถ๋์ฐ์ด ์ฐ์ฒด๋ ์ฑ๋ฌด๋ก ์ธํด ๋น์ฌ๋ฒ์ ์ ์ฐจ๋ฅผ ํตํด
์์ฅ์ ๋์ค๋ ๋ฐฉ์์ผ๋ก, ๋ฒ์ ๋ช
๋ น ์์ด๋ ์ผ์ ์ ์ฐจ๋ฅผ ๊ฑฐ์ณ ๋ฐ๋ก ๊ฒฝ๋งค
๊ฐ ์ด๋ฃจ์ด์ง๋๋ค. ํ์ง๋ง ๋ง์ ๋ถ๋ค์ด ์ ๋ชจ๋ฅด๋ ์ ์ด ํ๋์์ต๋๋ค. ํธ
๋ฌ์คํฐ ์ธ์ผ์๋ ์ฌ๋ฌ ์ ํ์ด ์๋ค๋ ๊ฒ์ธ๋ฐ์, ๊ทธ ์ฐจ์ด๋ฅผ ์๊ณ ์์ผ๋ฉด
ํฌ์์๋ ์ผ๋ฐ ๊ตฌ๋งค์ ๋ชจ๋์๊ฒ ๋์์ด ๋ฉ๋๋ค.
๊ฐ์ฅ ํํ ๋ณด๊ฒ ๋๋ ์ ํ์ โ๊ณต๊ฐ ๊ฒฝ๋งค(Trustee Sale at auction)โ์
๋
๋ค. ๋์ถ๊ธ์ ๊ฐ์ง ๋ชปํ ์ฑ๋ฌด์์ ์ง์ด ์ผ์ ๊ธฐ๊ฐ ์ฐ์ฒด๋๋ฉด, ์ํ์ ๊ณต
์ง๋ฌธ์ ๋ถ์ด๊ณ ๊ณต๊ฐ ๊ฒฝ๋งค ์ผ์ ์ ์ก์ต๋๋ค. ๊ทธ๋ฆฌ๊ณ ์ ํด์ง ๋ ์ง์ ๋ฒ์
์ด๋ ์์ฒญ ์ ๊ฐ์ ๊ณต๊ฐ๋ ์ฅ์์์ ์
์ฐฐ์ด ์์๋ฉ๋๋ค. ์ด๋๋ ๋๋ถ๋ถ
ํ๊ธ์ผ๋ก๋ง ์
์ฐฐ์ด ๊ฐ๋ฅํ๋ฉฐ, ์ฃผํ ๋ด๋ถ๋ฅผ ๋ณด์ง ๋ชปํ๊ณ ๊ตฌ๋งคํด์ผ ํ๋
๊ฒฝ์ฐ๊ฐ ๋ง์ต๋๋ค. ์ด๋ฐ ๊ฒฝ๋งค๊ฐ ํญ์ ์์ ๋๋ก ์งํ๋๋ ๊ฑด ์๋๋๋ค. ์ด
๋ค ๊ฒฝ์ฐ์๋ ๊ฒฝ๋งค๊ฐ ์ฐ๊ธฐ(postponed)๋๊ธฐ๋ ํฉ๋๋ค.
์ง์ฃผ์ธ์ด ์ํ๊ณผ ์ํ ์กฐ๊ฑด์ ์กฐ์ ํ๊ณ ์๊ฑฐ๋, ๋จ๊ธฐ ๋งค๊ฐ(์ผํธ ์ธ์ผ)
ํ์์ด ์งํ ์ค์ผ ๋ ๊ฒฝ๋งค๊ฐ ์ ์ ๋ณด๋ฅ๋ฉ๋๋ค. ์ด ๊ฒฝ์ฐ์๋ ์ ํด์ง ์ผ์
์์ด ๋ช ์ฃผ, ๋ช ๋ฌ ํ๋ก ๊ฒฝ๋งค๊ฐ ๋ค์ ์กํ ์ ์์ต๋๋ค.
๋ ์ด๋ค ๊ฒฝ์ฐ์๋ ๊ฒฝ๋งค๊ฐ ์์ ์ทจ์(cancelled)๋๊ธฐ๋ ํฉ๋๋ค. ์ฃผ์ธ์ด ์ฑ
๋ฌด๋ฅผ ๋ชจ๋ ์ํํ๊ฑฐ๋,
์ 3์๊ฐ ์ง์ ์ฌ๋ค์ด๋ ๋ฑ์ ๋ฐฉ๋ฒ์ผ๋ก ๋ฌธ์ ๊ฐ ํด๊ฒฐ๋๋ฉด, ํด๋น ๋ถ๋์ฐ์
๊ฒฝ๋งค ๋์์์ ์ฌ๋ผ์ง๋๋ค.
๋ง์ฝ ๊ฒฝ๋งค์ ๋์์ง๋ง ์๋ฌด๋ ๋์ฐฐ์ ๋ฐ์ง ์์ผ๋ฉด ์ด๋ป๊ฒ ๋ ๊น์? ์ด
๊ฒฝ์ฐ์๋ ์ง์ดโ์ํ ์์ (REO: Real Estate Owned)โ๋ก ์ ํ๋ฉ๋๋ค.
๊ทธ๋ฌ๋ฉด ์ํ์ด ์์ ์ฃผ๊ฐ ๋์ด ์ผ๋ฐ ์์ฅ์ ๋ฆฌ์คํ
๋๋ฉฐ, ์ฐ๋ฆฌ๊ฐ MLS๋
์คํํ์ฐ์ค๋ฅผ ํตํด ์ ํ๊ฒ ๋๋ ๋ถ๋์ฐ์ผ๋ก ๋์ค๊ฒ ๋ฉ๋๋ค. ์ด๋๋ ์ผ
๋ฐ์ ์ธ ์ฃผํ ๊ตฌ๋งค ์ ์ฐจ์ฒ๋ผ ์ต์๋ ๊ฐ๋ฅํ๊ณ ๋ด๋ถ ์ ๊ฒ๋ ํ ์ ์์ด ์
๋์ ์ผ๋ก ์์ ํ ๊ฑฐ๋๊ฐ ๋ฉ๋๋ค.
๊ทธ๋ฆฌ๊ณ ๋ง์ง๋ง์ผ๋ก ์ฃผ์ ๊น๊ฒ ๋ณผ ์ ํ์, ์ค์ ๊ฒฝ๋งค์์ ์ 3์๊ฐ ๋์ฐฐ
์ ๋ฐ๋ ๊ฒฝ์ฐ์
๋๋ค. ์์ฆ์ ํฌ์์๋ ์ผ๋ฐ ๊ตฌ๋งค์๊ฐ ๊ฒฝ๋งค ํ์ฅ์์ ๋ฐ
๋ก ๋์ฐฐ ๋ฐ๋ ๊ฒฝ์ฐ๊ฐ ๋๊ณ ์๋๋ฐ์, ์ด ๊ฒฝ์ฐ๋ โ์๋ ๊ทธ๋๋ก(as-is)โ
์ฌ๋ ์กฐ๊ฑด์ด๊ณ , ์
์ฃผ์ ํด๊ฑฐ ๋ฌธ์ ๋ ์ฃผํ ์ํ ๋ฑ์ ๋ํ ๋ฆฌ์คํฌ๊ฐ ๋ฐ๋ฅด ๊ธฐ ๋๋ฌธ์ ๋ฐ๋์ ์ฌ์ ์กฐ์ฌ๊ฐ ํ์ํฉ๋๋ค. ๋ ํ๋ ๋์น์ง ๋ง์์ผ ํ ์ํฉ์ด ์์ต๋๋ค. ๋ฐ๋ก ์ง์ฃผ์ธ์ด ์ฌ๋งํ ๊ฒฝ์ฐ์
๋๋ค.
๋ง์ ๋ถ๋ค์ด โ์ฌ๋งํ๋ฉด ์๋ฅ๋ ์ ๋๊ฒ ์งโ๋ผ๊ณ ์๊ฐํ์ง๋ง, ํ์ค์ ๋ค๋ฆ
๋๋ค.
์ฌ๋งํ ์ฃผํ ์์ ์๊ฐ ๋ชจ๊ธฐ์ง๋ฅผ ๋จ๊ธฐ๊ณ ๋์๊ฐ์
จ๊ณ , ์์์ธ์ด ๊ทธ ์ฑ๋ฌด
๋ฅผ ์ธ์ํ์ง ์์ผ๋ฉด, ํด๋น ๋ถ๋์ฐ์ ๊ทธ๋๋ก ํธ๋ฌ์คํฐ ์ธ์ผ๋ก ๋์ด๊ฐ ์ ์์ต๋๋ค. ํนํ ๋ฆฌ๋ฒ์ค ๋ชจ๊ธฐ์ง์ ๊ฒฝ์ฐ, ์์ ์ฃผ ์ฌ๋ง ์ ์ฆ์ ์ํ์ด ์ ๊ตฌ๋๊ณ , ์ํํ์ง ์์ผ๋ฉด ๊ณง๋ฐ๋ก ๊ฒฝ๋งค ์ ์ฐจ๋ก ์ ํ๋ฉ๋๋ค.
Duk Young (Sophia) Yang
(213) 500-5740
- COMPASS Real Estate ๋ผ์ผ๋๋ค ์คํผ์ค - Commercial, Residential & Property Management - ์ KREBASC (๋จ๊ฐ์ฃผ ๋ถ๋์ฐ ํํ) ์ด์ฌ ๋ฐ ์์
๋ฏธ๋์ด ๋ด๋น
- SFR Certified(์์ธ์ผ/์ฐจ์/ ์ํ ๋งค๋ฌผ ์ ๋ฌธ)
Short sale/ Foreclosure/ Real Estate Owned - ๋ฐ๋ ์์/์คํฐ๋ธ์จ๋์น/์บ๋
์ปจ์ธ๋ฆฌ ๋ผ์นด๋๋ค/๋ผํฌ๋ผ์ผํ/ํ์ฌ๋ฐ๋ ์ ๋ฌธ
์ต๋๋ค. ๋๊ฐ ์์ ๊ถ์ ๊ฐ์ ธ๊ฐ๋๋, ์ด๋ค ์ ์ฐจ๋ฅผ ๊ฑฐ์ณ ์์ฅ์ ๋์ค๋์ง ์ ๋ฐ๋ผ ์ฑ๊ฒฉ๊ณผ ๋ฆฌ์คํฌ๊ฐ ์์ ํ ๋ฌ๋ผ์ง๋๋ค.
์ฌ๋ง ์ดํ Trustee Sale์ด ๋์ค๋ ๋ํ ์๋๋ฆฌ์ค
์ํฉ ์ค๋ช
๊ฒฐ๊ณผ
1 ๋ชจ๊ธฐ์ง ๋จ๊ธฐ๊ณ ์ฌ๋ง ์ฐ์ฒด ํ ์๋ฅ๋ก ์งํ
2 ๋ฆฌ๋ฒ์ค ๋ชจ๊ธฐ์ง ์ํ์์ ์ฌ๋ง ์ํ ๋ถ๊ฐ ์ ์๋ ๊ฒฝ๋งค
3 ์์์ธ ์์ or ์ํ ๊ฑฐ๋ถ ์ํ์ด Trustee Sale ๊ฐ์
4 Living Trust ๋ด ์ฃผํ + ์ฑ๋ฌด ์ํ์ ์ฐ์ฒด ์ ์๋ฅ ๊ฐ๋ฅ
๋ถ๋์ฐ ์์ฅ์์๋ ์ ๋ฌธ๊ฐ์ ์๋ด ์์ด ์ด๋ฐ ์ ํ์ ๋งค๋ฌผ์ ์ ํ๋ ๊ฒ์ ๊ฝค ์ํํ ์ ์์ต๋๋ค.
๋ถ๋์ฐ ๋งค๋งค์ ๊ถ๊ธํ ์ ์ด ์์ผ์๋ฉด ์ธ์ ๋ ์๋ด์ ์์ฒญํด ์ฃผ์ธ์. ๊ณ ๊ฐ์ ์ํฉ์ ๋ง๋ ์ ์ ํ ์ ๊ทผ ๋ฐฉ์์ ํจ๊ป ๊ณ ๋ฏผํ๊ฒ ์ต๋๋ค.
์ ๋ฆฌํ์๋ฉด, Trustee Sale์ ๋จ์ํ โ๊ฒฝ๋งคโ๋ผ๋ ๋ง๋ก ๋ค ์ค๋ช
๋์ง ์
์คํ ํ์ฐ์ค์์
๋ฌด์์ ๋ฌผ์ด๋ด์ผ ํ ๊น์?
์คํ ํ์ฐ์ค๋ ์ด์ฌ ๊ฐ ์ง์ ์ฐพ๋ ๋งค์ฐ ์ข์ ๋ฐฉ๋ฒ์
๋๋ค. ์ฃผ๋ณ ๋๋ค๋ฅผ
๋๋ฌ๋ณผ ์๋ ์๊ณ , ์์ธ๋ฅผ ๊ฐ๋ ํด ๋ณด๊ฑฐ๋ ํจ๊ป ์ผํด๋ณด๊ณ ์ถ์ ๋ถ๋์ฐ ์
์ด์ ํธ๋ฅผ ์ฐพ์๋ณผ ์๋ ์์ต๋๋ค.
๊ทธ๋ฌ๋ฉด ์คํ ํ์ฐ์ค๋ฅผ ๊ฐ์ ์ด๋ค ๊ฒ์ ๋ฌผ์ด๋ณด์์ผ ํ ๊น์?
์คํ ํ์ฐ์ค๋ฅผ ์ ๋๋ก ์ด์ฉํ๋ค๋ฉด, ๋ง์ ์ ๋ณด๋ฅผ ์ ์ ์์ต๋๋ค. ๊ฐ์ฅ
์ค์ํ ๊ฒ์ ์ ์ ํ ์ง๋ฌธ์ ์ง์ ํ๊ฑฐ๋ ํน์ ๋ถ๋์ฐ ์์ด์ ํธ๊ฐ ํ๊ฒ ํ๋ ๊ฒ์
๋๋ค.
์ง์ ์ด ๋ ๋ถ๋์ฐ ์ค๊ฐ์ธ์๊ฒ ๋ฌผ์ด๋ณด๋ฉด ๋์์ด ๋ ๋งํ ๋ช ๊ฐ์ง ์ง๋ฌธ์
์๋์ ์ ๋ฆฌํด ๋๋ฆฌ๊ฒ ์ต๋๋ค.
๋งค๋ฌผ์ ์คํผ๋ฅผ ๋ฐ์๋ณธ ์ ์ด ์์ต๋๊น?
์ด ์ง๋ฌธ์ ๋งค๋ฌผ์ ๋ํ ๊ฒฝ์์ด ์๋์ง์ ๋ํด ์ ์ ์์ต๋๋ค. ์
๋ฌ๊ฐ
์ด๋ค ์คํผ๋ฅผ ๊ฑฐ์ ํ๋์ง, ์ ๊ฑฐ์ ํ๋์ง์ ๋ํด์๋ ์ ์ ์์ ๊ฒ์
๋๋ค. ์ด ์ง๋ฌธ์ ์กฐ๊ฑด์ ๋ง๋
์คํผ๋ฅผ ํ๋๋ฐ ๋์์ด ๋ ๊ฒ์
๋๋ค.
์ด ์ง์ด ์์คํฌ๋ก์ ๋ค์ด๊ฐ ์ ์ด ์์์ต๋๊น?
์์คํฌ๋ก์ ๋ค์ด๊ฐ ํ์ ๊ฑฐ๋๊ฐ ์ฑ์ฌ๊ฐ ์ ๋์๋ค๋ฉด ์ด์ ๋ฅผ ๋ฌผ์ด๋ณด์ธ ์. ๊ฐ์ ๊ฐ๊ฐ ๋ฌธ์ ์๋์ง, ์๋๋ฉด ์ธ์คํ์
์์ ๋ฌธ์ ๊ฐ ์์๋์ง๋ฅผ ๋ฌผ
์ด๋ณด์์ผ ํฉ๋๋ค.
์ธ์คํ์
์ ํ์๋ค๋ฉด, ๋ฆฌํฌํธ๋ฅผ ์๊ตฌํด์ ์ฃผํ์ ๋ํ ์ ๋ณด๋ฅผ ์์ธํ
์๊ณ ๋ ํ, ์คํผ๋ฅผ ๊ฒฐ์ ํ๊ธฐ ์ ์ 2์ฐจ์ ์ผ๋ก ํด์ผ ํ ์ธ์คํ์
์ ์ด๋ค
๊ฒ์ด ์๋์ง ์ ์ ์๋๋ก ํด์ผ ํฉ๋๋ค.
๋งค๋ฌผ์ด ๋์จ ์ง ์ผ๋ง๋ ๋์ต๋๊น?
๋งค๋ฌผ์ด ๋์จ ์ง ์ค๋๋๋ค๋ฉด, ๋ ๋ฎ์ ์คํผ๋ฅผ ํ ์ ์๋ ๋์
๋๋ค. ๋ง์ฐฌ
๊ฐ์ง๋ก ๊ฐ๊ฒฉ์ด ์ธํ๋ ์ ์ด ์๋์ง, ๋ ์ธ์ ์๋์ง ์์๋ณด์๊ธฐ ๋ฐ๋๋ ๋ค.
์์ ํ๊ฒ ๋์์ ๋ ์ถ๊ฐ์ ์ธ ๋น์ฉ์ด ์์ต๋๊น?
๋ค์ ํ ๋ฒ, ํด๋ก์ง์ด ์๊ธฐ ์ ์ ๋์ค์ ์๊ณ ๋๋ผ๋ ์ผ์ด ์๋๋ก ํ์ค ํ ํ ํ์๊ฐ ์์ต๋๋ค.
์ฝ๋๋ฏธ๋์ ์ปดํ๋ ์ค๋ ๋ค๋ฅธ ๊ณํ๋ ์ปค๋ฎค๋ํฐ, ํนํ ์๋ก์ด ์ปค๋ฎค๋ํฐ
์ผ์๋ก ํํ๋น, ์ถ๊ฐ์ ์ธ ์ธ๊ธ ๋๋ ๊ณผ์ธ์ ๋ํด ๋ฌผ์ด๋ณด์๊ธฐ ๋ฐ๋๋๋ค.
๊ทธ๋ฆฌ๊ณ HOA๊ฐ ์์ผ๋ฉด, ์ ํํด์ ์ ์๋๋ฌผ ์์ ์ฌ๋ถ ๋ฑ๊ณผ ๊ฐ์ด ๋ผ์ดํ
์คํ์ผ๊ณผ ์ถฉ๋ํ๋ ๋ถ๋ถ์ ์๋์ง ํ์คํ ํ๊ธฐ ๋ฐ๋๋๋ค.
์์ด๋ค์
์ํ 'ํธ๋ผํ ๊ณ์ข'
1,000๋ฌ๋ฌ์ ์ธ๊ธ
์์ด๋ค์ ์ํ IRA ๊ณ์ข์ ์ธ๋ถ ์ฌํญ์ ์ด ๋ฒ์์ด ์ํ๋ฅผ ํต๊ณผํ๋ฉด์ ํฌ๊ฒ ๋ฐ๋์๋ค.
์ ์น์ธ๋ค์ ์์ด๋ค์๊ฒ 1,000๋ฌ๋ฌ๋ก ํฌ์๋ฅผ ์์ํ ์ ์๋ ๊ธฐํ๋ฅผ ์ฃผ ๊ณ ์ถ์ด ํ๋ค. ํ์ง๋ง ์ํ์ ๊ฒฐ์ ๋ฐฉ์์ ๋งค์ฐ ๋ณต์กํ๋ค.
'One Big Beautiful Bill Act'์ ํฌํจ๋ ์๋ก์ด ์ ํ์ ์๋ ์ ์ถ ๊ณ์ข๋
์ํ๋ฅผ ํต๊ณผํ๋ฉด์ ๊ณ์ข ์ด๋ฆ๋ถํฐ ์์ ํ ๋ฐ๋์๋ค. ์ด ์กฐํญ์ ๊ฒํ ํ
๋ ์ฌ๋๋ค์ ์ฌ์ ํ ์ด ๊ณ์ข์ ์๋ฏธ๋ฅผ ํ์
ํ๋ ค๊ณ ์ ์ฐ๊ณ ์๋ค.
์ต์ข
๊ฐ์ ์์ ๋ฐ๋ฅด๋ฉด, ์์ 'ํธ๋ผํ ๊ณ์ข'๋ ์๋
๋ฅผ ์ํ ๋ณดํธ์ ์ค์ฌ
์ ๊ฐ์ธ ํด์ง ๊ณ์ข๋ก, ์๋
๊ฐ 18์ธ๊ฐ ๋ ๋๊น์ง ํน๋ณ ๊ท์ ์ด ์ ์ฉ๋๋ค.
ํฅํ ๋ช ๋
๋์ ์ฌ๋ฌด๋ถ์์ ์ ์์๋ฅผ ์ํด ์ง์ํ๋ 1,000๋ฌ๋ฌ์ ์ข
์ฃ
๋์ด ํจ๊ป ์ ๊ณต๋๋ค. ์ด ๋์ ์ธ๊ธ ์ ์ ํํ์ ๋ฐ์ผ๋ฉฐ, ์ธ์ถ ์ ์๋์ธ ๊ฐ ๋ถ๊ณผ๋๋ค.
๋ฌด๋ฃ๋ก ์ ๊ณต๋๋ 1,000๋ฌ๋ฌ์ ๊ณ ์ฉ์ฃผ ๋ฐ ์์ ๋จ์ฒด์ ์ถ๊ฐ ๊ธฐ๋ถ๊ธ์ ๋ถ
๋ช
์ข์ ์กฐ๊ฑด์ด๋ค.
์ฌ์ ๊ณ ๋ฌธ๋ค์ 529 ์ ์ถ ํ๋์ ์ด๋ฏธ ํ๋๋ฅผ ์ด๊ณผํ์ฌ ํฌ์ํ ํ ์ด๋ฆฐ
์๋
์ ์ํด ์๊ธ ๋ง๋ จ์ ์ํด ์ ์ถ์ ์์ํ๋ ค๋ ๋ถ์ ์ธต์๊ฒ ๊ฐ์กฑ ์
๊ธ์ ์ถ๊ฐํ๋ ๊ฒ์ด ๊ฐ์ฅ ์ข๋ค๊ณ ๋งํ๋ค.
๋๋ถ๋ถ์ ๊ฐ์ ์์๋ ์๊ธ์ ์ถ๊ฐํ๋ ๊ฒ์ด ํฉ๋ฆฌ์ ์ด์ง ์๋ค.
529 ์ ์ถ ํ๋์ด๋ ์ฌ์ง์ด ๋ณดํธ์ ๊ณ์ข๋ ๋ ์ ์ฐํ๊ณ ๋ถ๋ชจ์ ๊ธฐ์ฌ๊ธ
์ ๋ํ ์ธ์ ํํ๋ ๋ ์ข๋ค.
๋๊ฐ ์๊ฒฉ์ด ์๋?
๊ณ์ข ๊ฐ์ค ์ฐ๋์ ์ฌํ๋ณด์ฅ๋ฒํธ๊ฐ ์๊ณ ๋ง 18์ธ ๋ฏธ๋ง์ธ ์๋
๋ ๋๊ตฌ๋
Taxation)์ ๋ฐ๋ฅด๋ฉด, ์ด ํ๋ก๊ทธ๋จ์ผ๋ก ์ธํด 2034๋
๊น์ง ์ฌ๋ฌด๋ถ์ 150์ต
๋ฌ๋ฌ์ ์์ฐ์ด ์์๋ ์์ ์ด๋ค.
์ธ์ ์ด์ฉ ๊ฐ๋ฅํ๊ฐ?
์ด ๊ณ์ข๋ 2026๋
์ ์ถ์๋ ์์ ์ด๋ฉฐ, ๋ถ๋ชจ๋ฅผ ๋น๋กฏํ ๋ชจ๋ ์ฌ๋๋ค์ 7
์๋ถํฐ ๊ธฐ์ฌ๋ฅผ ์์ํ ์ ์๋ค. ์ฌ๋ฌด๋ถ๊ฐ ์ด ํ๋ก๊ทธ๋จ์ ๊ฐ๋
ํ๊ณ ์ํ
์ด๋ ๊ธฐํ ๊ธ์ต ๊ธฐ๊ด์ด ๊ณ์ข๋ฅผ ์ด์ํ๋ค.
ํฌ์ ์ต์
์ ๋ฌด์์ธ๊ฐ?
ํฌ์๋ ์ฃผ๋ก ๋ฏธ๊ตญ ์ฃผ์์ผ๋ก ๊ตฌ์ฑ๋ ์ ๋น์ฉ ๋ฎค์ถ์ผ ํ๋ ๋๋ ์์ฅ์ง์
ํ๋(ETF)์ ํด์ผ ํ๋ค. ์ฐ์
๋ฐ ์นํฐ๋ณ ์ง์๋ ํ์ฉ๋์ง ์๋๋ค. ์ด ํ
๋๋ ๋น์ฉ ๋น์จ์ด ์ต๋ 0.1%์ธ ํ๋๋ก ์ ํ๋๋ค.
๊ธฐ๋ถ ํ๋๋ ์ด๋ป๊ฒ ๋๋?
์ฐ๋ฐฉ ์ ๋ถ์ ์ข
์ฃ๋ 1,000๋ฌ๋ฌ ์ธ์๋ ๋ค๋ฅธ ์ฌ๋๋ค๋ ์ด ๊ณ์ข์ ๊ธฐ์ฌํ
์ ์๋ค.
๋ถ๋ชจ, ์น์ฒ, ์น๊ตฌ๋ ์๋
๊ฐ 18์ธ๊ฐ ๋๊ธฐ ์ ๊น์ง ๋งค๋
์ธํ ์ต๋ 5,000๋ฌ
๋ฌ๋ฅผ ๊ธฐ์ฌํ ์ ์๋ค. ์ด ๊ธ์ก์ ๋งค๋
๋ฌผ๊ฐ์์น๋ฅ ์ ๋ฐ๋ผ ์ฆ๊ฐํ๋ค.
๊ณ ์ฉ์ฃผ๋ ์ง์ ๋๋ ์ง์์ ๋ถ์๊ฐ์กฑ์ ์ํด ์ต๋ 2,500๋ฌ๋ฌ๋ฅผ ๊ธฐ๋ถํ
์ ์๋ค.
2,500๋ฌ๋ฌ ํ๋๋ 2028๋
๋ถํฐ ๋ฌผ๊ฐ์์น๋ฅ ์ ๋ฐ์ํ์ฌ ์กฐ์ ๋๋ค.
ํธ๋ผํ ๋ํต๋ น์ 6์์ ์ฌ๋ฌ CEO๋ค๊ณผ ํจ๊ป ์ด ๊ณ์ข๋ฅผ ํ๋ณดํ๋ค.
๋ธ ํ
ํฌ๋๋ก์ง์ค์ ์ค๋ฆฝ์ ๊ฒธ CEO์ธ ๋ง์ดํด ๋ธ์ ๋ธ ํ์์ด ๋ณ์ ๋ชจ๋
์๋
์๊ฒ ์ฐ๋ฐฉ ์ ๋ถ์ ์ข
์๋ 1,000๋ฌ๋ฌ๋ฅผ ๋์ผํ๊ฒ ์ง์ํ๊ฒ ๋ค๊ณ ์ฝ ์ํ๋ค.
์์ ๋จ์ฒด๋ ํน์ ์ง์ญ์ด๋ ์ถ์ ์ฐ๋์ ๋ชจ๋ ์๋
์๊ฒ ๊ท ๋ฑํ๊ฒ ๊ธฐ๋ถ ํ๋ ๊ฒฝ์ฐ ์ด ๊ณ์ข์ ๊ธฐ๋ถํ ์ ์๋ค. ๋ธ์ ๋ฐฑ์
๊ด ํ์ฌ์์ ์์ ๊ณผ ์ ๋ด๊ฐ ๊ฐ์กฑ ์ฌ๋จ์ ํตํด ์๋นํ ๊ธฐ๋ถ๋ฅผ ํ ๊ฒ์ผ๋ก ๊ธฐ๋ํ๋ค๊ณ ๋งํ๋ค.
๋์ ์ธ์ ์ธ์ถํ ์ ์์ผ๋ฉฐ, ์ธ๊ธ์ ์ด๋ป๊ฒ ๋ถ๊ณผ๋๋?
์ธ๊ธ์ ๊ณ์ข ๊ด๋ฆฌ๊ฐ ์ ๋ง ๋ณต์กํด์ง๋ ๋ถ๋ถ์ด๋ค. ๋๊ฐ ๋์ ๋ฃ์๋์ง, ์ธ ์ถํ ๋ ๋์ด๊ฐ ๋ช ์ด์ธ์ง, ๊ทธ๋ฆฌ๊ณ ์ด๋ค ์ฉ๋๋ก ์ฌ์ฉํ๋์ง์ ๋ฐ๋ผ ๋ฌ๋ผ ์ง๋ค.
๊ณ์ข์ ๋จ์ ์๋ ๋ฐฐ๋น๊ธ์ด๋ ์๋์๋์ธ๋ ๋ถ๊ณผ๋์ง ์๋๋ค.
์ํ์๋ 18์ธ๊ฐ ๋๋ ํด 1์ 1์ผ์ ๊ณ์ข๋ฅผ ๋น์ฐ๊ณ ์ํ๋ ์ฉ๋๋ก ์ฌ์ฉ ํ ์ ์๋ค.
์๋ฅผ ๋ค์ด, 1,000๋ฌ๋ฌ๋ฅผ ๋ฐ์์ ๋ํ ๋ฑ๋ก๊ธ์ผ๋ก ์ฌ์ฉํ๋ค๋ฉด, ์ธ์ถํ 1,000๋ฌ๋ฌ์ ๊ทธ ์ธ ์์
์ ๋ํด ์ฐ๋ฐฉ ์๋์ธ๋ฅผ ๋ฉ๋ถํด์ผ ํ๋ค.
์๋์ฐจ๋ฅผ ์ฌ๋ ๋ฐ ์ฌ์ฉํ๋ค๋ฉด, 10%์ ๋ฒ๊ธ๋ ๋ด์ผ ํ๋ค.
59.5์ธ ์ด์ ์ ์ธ์ถํ๋ฉด ์กฐ๊ธฐ ์ธ์ถ ๋ฒ๊ธ์ด ๋ถ๊ณผ๋๋ค. ๋จ, ๊ณ ๋ฑ ๊ต์ก์ด๋
์ฒซ ์ฃผํ ๊ตฌ๋งค์ ์ต๋ 10,000๋ฌ๋ฌ๊น์ง ์ฌ์ฉํ๋ ๊ฒฝ์ฐ๋ ์์ธ๋ค.
59.5์ธ ์ดํ์ ์๋์ฐจ๋ฅผ ์ฌ๋ ๋ฐ ๊ทธ ๋์ ์ฌ์ฉํ๋ฉด ์๋์ธ๋ ๋ด์ผ ํ์ง
๋ง ๋ฒ๊ธ์ ์๋ค. ์ฆ, ์์ญ ๋
๋์ ๊ณ์ข์ ์์น๋์ด ์์ด์ผ ํ๋ค๋ ๋ป์ด๋ค.
์ํฉ์ ๋ ๋ณต์กํ๊ฒ ๋ง๋ค๊ธฐ ์ํด, 1,000๋ฌ๋ฌ์ ์ด๊ธฐ ํฌ์๊ธ ์ธ์ ์ธํ 10,000๋ฌ๋ฌ๋ฅผ ๊ณ์ข์ ๋ถ์
ํ๊ณ , 4,000๋ฌ๋ฌ์ ํฌ์ ์์ต์ด ์๋ค๊ณ ๊ฐ์ ํด ๋ณด๊ฒ ๋ค. 1,000๋ฌ๋ฌ์ ์ด๊ธฐ ํฌ์๊ธ์ ์๋์ผ๋ก ๊ฐ์ฃผ๋๊ณ , ์ธํ ์๊ธ์ด ํฌํจ๋ IRA ์ธ์ถ์ ๋ถ๋ถ ๊ณผ์ธ ๋์์ด๋ฏ๋ก, ์ธ์ถ ๊ธ์ก์ 3๋ถ์ 1์ด ๊ณผ์ธ ๋์์ด ๋ค. ์ด ๊ฒฝ์ฐ 6,000๋ฌ๋ฌ๋ฅผ ์ธ์ถํ๋ฉด 2,000๋ฌ๋ฌ๋ ์ด๋ค ์ฉ๋๋ก, ๋ช ์ด์ ์ธ ์ถํ๋ ์ธ๊ธ์ด ๋ถ๊ณผ๋๋ค.
IRA ๋ถ์๊ฐ๋ ๋ก์ค IRA์ฒ๋ผ ์ธํ ๋ถ์
๊ธ๋ง ๋ฐ๋ก ๋ผ์ด๋ผ ์๋ ์๋ค๊ณ ๋ง ํ๋ค.
๊ณ ์ฉ์ฃผ์ ์์ ๋จ์ฒด์ ๋ถ์
๊ธ์ 1,000๋ฌ๋ฌ์ ์ด๊ธฐ ํฌ์๊ธ๊ณผ ๋์ผํ ์ธ ๊ธ ํํ์ ๋ฐ๋๋ค.
ํธ๋ผํ ๊ณ์ข๋ฅผ ๊ฐ์คํด์ผ ํ๋?
์ฌ์ ์ ๋ฌธ๊ฐ๋ค์ ํธ๋ผํ ๊ณ์ข๊ฐ ๊ณต์ง ๋์ด๋ผ๋ ์ ์์ ๋ถ๋ช
๊ฐ์น๊ฐ ์
๋ค๊ณ ๋งํ์ง๋ง, ๋ถ๋ชจ๋ ๊ณ์ข์ ์๊ธ์ ์ถ๊ฐํ๊ธฐ ์ ์ ๋ค๋ฅธ ์ ์ถ ์ต์
์
์ดํด๋ด์ผ ํ๋ค.
๋ํ ์๊ธ์ ๋ชจ์ผ๋ ๋ถ๋ชจ์ ๊ฒฝ์ฐ, 529 ๋ํ ์ ์ถ ํ๋์ ๋์ฑ ํฐ ์ธ๊ธ
ํํ์ ์ ๊ณตํ๋ค.
์๋
๊ฐ ์๋์ ์ฌ๋ฆฌ๊ธฐ ์์ํ๋ ์ฆ์, ๋ถ๋ชจ๋ ์๋
๊ฐ ๊ด๋ฆฌํ ์ ์๋ ๋ก
์ค IRA(Roth IRA)๋ฅผ ๊ฐ์คํ๋๋ก ๋์ธ ์ ์๋ค. ์ด๋ฌํ IRA์ ๋ํ ๋ถ์
๊ธ์ ์ธ์ ๋ ์ง ๋น๊ณผ์ธ๋๋ฉฐ ๋ถ์ด์ต์ด ์๋ค.
์ฌ์ ์ ๋ฌธ๊ฐ๋ค์ ๋ฐฐ๋น๊ธ์ด ๋ฎ๊ฑฐ๋ ์๋ ๋ฎค์ถ์ผ ํ๋์ ํฌ์ํ๋ ๊ธฐ์กด
์ค๊ฐ ๊ณ์ข๋ ํธ๋ผํ ๊ณ์ข๋ณด๋ค ์ ๋ฆฌํ ์ ์๋ค๊ณ ๋งํ๋ค. ๋ฐฐ๋น๊ธ ์์ต์
์ผ๋ฐ ์๋์ด ์๋ ์๋ณธ ์ด๋์ผ๋ก ๊ณผ์ธ๋๊ธฐ ๋๋ฌธ์ด๋ค.
์ฌ์ ์ ๋ฌธ๊ฐ๋ค์ ์๋
์ ์ํด ์๊ธ์ ์กฐ๊ธฐ์ ๋ง๋ จํ๋ ค๋ ๋ถ๋ชจ์๊ฒ ์ด
๊ณ์ข๊ฐ ์ ํฉํ ์ ์๋ค๊ณ ๋งํ๋ค. ์ด ๊ณ์ข๋ ์์ญ ๋
๊ฐ ์ธ๊ธ์ด ์ ์๋๋ ์ฑ์ฅ ๊ธฐํ๋ฅผ ์ ๊ณตํ๊ธฐ ๋๋ฌธ์ด๋ค.
18์ธ์ ์ด ๊ณ์ข๋ฅผ ๋ก์ค IRA๋ก ์ ํํ๋ฉด ์์ญ ๋
๊ฐ ๋น๊ณผ์ธ๋ก ์ฑ์ฅํ ์ ์๋ค. ํ์ง๋ง ๊ทธ๊ฑด 18์ธ๊ฐ ํ๊ธํํ์ง ์๋๋ค๋ ์ ์ ํ์ ๊ฐ๋ฅํ๋ค.
์ฌํ์
ํต์ฆ
์ฐ๋ฆฌ๋ ์ข
์ข
๋ง์์ ์ํ์ โ๊ธฐ๋ถ ํโ ์ผ๋ก ์น๋ถํฉ๋๋ค. ์ค์ฐ์ ๋นํ
๊ฑฐ๋ ์น๊ตฌ์๊ฒ ์์ธ๋นํ์ ๋, ๋๊ตฐ๊ฐ๋ โ๊ทธ๋ฅ ์์ด๋ฒ๋ คโ ๋ผ๋ฉฐ ์ฝ๊ฒ
๋งํฉ๋๋ค. ํ์ง๋ง ์ ๋ง ๊ทธ๋ด๊น์?
2003๋
UCLA์ ํ ์คํ์ ์ฐ๋ฆฌ์ ์ด๋ฐ ์๊ฐ์ ์ ๋ฉด์ผ๋ก ๋ฐ๋ฐํฉ๋๋ค.
์ด ์คํ์ ์ฌํ์ ๊ฑฐ์ ์ด ๋จ์ํ ๊ฐ์ ์ด ์๋๋ผ, ์ค์ ๋ก ์ ์ฒด์ ๊ณ ํต์ฒ
๋ผ ๋์์ ์ธ์๋๋ค๋ ๊ฒ์ ๋ฐํ๋์ต๋๋ค.
์ฐ๊ตฌํ์ โ์ฌ์ด๋ฒ๋ณผ(Cyberball)โ์ด๋ผ๋ ๊ฐ๋จํ ์จ๋ผ์ธ ๊ฒ์์ ๋ง๋ค์
์ต๋๋ค.
์ฐธ๊ฐ์ ์ธ ๋ช
์ด ๊ฐ์๊ณต๊ฐ์์ ์๋ก ๊ณต์ ์ฃผ๊ณ ๋ฐ๋ ๊ฒ์์ด์์ฃ . ์ฒ์์
์ธ ๋ช
์ด ๊ณต์ ๊ณจ๊ณ ๋ฃจ ์ฃผ๊ณ ๋ฐ์ง๋ง, ์ด๋ ์๊ฐ๋ถํฐ๋ ๋๋ง ์ฃผ๊ณ ๋ฐ๊ณ ํ ์ฌ ๋์ ์ฒ ์ ํ ์ ์ธ๋ฉ๋๋ค. ๊ทธ๋ฆฌ๊ณ ์ด๋ ๋ฐฐ์ ๋ ์ฌ๋์ ๋์์๋ ์ ์ธก ๋
์ํผ์ง(anterior cingulate cortex)์ด ํ์ฑํ๋์์ต๋๋ค.
๋๋๊ฒ๋ ์ด ๋ถ์๋ ์ฐ๋ฆฌ๊ฐ ๋ฌผ๋ฆฌ์ ์ธ ๊ณ ํต์ ๋๋ ๋ ์๋ํ๋ ๊ณณ์
๋๋ค. ๋จ์ํ ๊ฒ์์์ ๋ฌด์๋นํ์ ๋ฟ์ธ๋ฐ, ๋๋ ๊ทธ๊ฒ์ ์์ฒ, ๊ทธ๊ฒ๋
โ์ํโ ์์ฒ๋ก ๋ฐ์๋ค์ธ ๊ฒ์
๋๋ค. ์ด ์คํ์ ๋จ ํ๋์ ๋ฉ์์ง๋ฅผ ๋
์ง๋๋ค. โ์ธ๋ก์์ ์ค์ ๋ก ์ํ๋ค.โ
์ดํ ์ฌ๋ฌ ์ฐ๊ตฌ๋ค์ด ์ด ์ฌ์ค์ ๋์ฑ ๋ช
ํํ ๋ณด์ฌ์ฃผ์์ต๋๋ค. ์ธ๋ก์์ ๋จ์ง ์ฐ์ธํจ์ ๋ถ๋ฌ์ค๋ ๊ฒ ์ด์์
๋๋ค. ์ฌ์ฅ ๊ฑด๊ฐ์ ํด์น๊ณ , ๋ฉด์ญ ์ฒด๊ณ
๋ฅผ ์ฝํ์ํค๋ฉฐ, ์ถ์ ์ง์ ๊ธ๊ฒฉํ ๋จ์ด๋จ๋ฆฌ๋ ์์ธ์ด๊ธฐ๋ ํฉ๋๋ค.
์ด๋ค ์ฐ๊ตฌ์์๋ ์ธ๋ก์์ ์ํฅ๋ ฅ์ด โํ๋ฃจ์ ๋ด๋ฐฐ๋ฅผ 15๊ฐ๋น ํผ์ฐ๋ ๊ฒ๊ณผ ๋ง๋จน๋๋ค.โ๊ณ ๊น์ง ํํํฉ๋๋ค.
๋ฃ๊ธฐ์ ๊ณผ์ฅ์ฒ๋ผ ๋ค๋ฆด ์ ์์ง๋ง, ์ค์ ๋ก ์ธ๋ก์์ ํก์ฐ์ด๋ ๋น๋ง๋ณด๋ค
๋ ์น๋ช
์ ์ธ ๊ฑด๊ฐ ๋ฆฌ์คํฌ๊ฐ ๋ ์ ์์ต๋๋ค. ํ์ง๋ง ๋คํํ๋ ํฌ๋ง์ ์
์ต๋๋ค. ๋ฐ๋ก โํจ๊ป ์์โ์ ํ์
๋๋ค.
2010๋
, ์ฅ์คํผ๋๋ํ๊ต์ ์ฌ๋ฆฌํ์๋ค์ด ์กฐ์ ์ ์๋ค์ ๋์์ผ๋ก ํ
์คํ์ด ํฅ๋ฏธ๋ก์ด ์ฌ์ค์ ๋ณด์ฌ์ฃผ์์ต๋๋ค.
๋์ผํ ์ด๋๋์ ํ๋์ ํ๋ฉด์๋, ํผ์ ์ด๋ํ์ ๋๋ณด๋ค ํ์ผ๋ก ํจ๊ป
๋
ธ๋ฅผ ์ ์์ ๋ ์ ์๋ค์ ํต์ฆ ์ธ๋ด๋ ฅ์ด ๋ ๋ฐฐ ์ด์ ๋์์ก์ต๋๋ค.
๋ฌด์จ ์ด์ ์ผ๊น์? ์ฌ๋์ ๋๊ตฐ๊ฐ์ โํจ๊ปโ ๋ฌด์ธ๊ฐ๋ฅผ ํ ๋ ๋๊ฐ ๊ทธ
ํ์์ ๋ ํฐ ์๋ฏธ๋ฅผ ๋ถ์ฌํ๊ณ , ์๋ํ๊ณผ ๊ฐ์ ์งํต ํธ๋ฅด๋ชฌ์ ๋ถ๋น๊ฐ ์ด
์ง๋๊ธฐ ๋๋ฌธ์
๋๋ค. ์ฆ, ๊ณต๋์ฒด์ ํ๋์ด ๊ณ ํต ์์ฒด๋ฅผ ์ค์ฌ์ฃผ๋ ์ฝ์ด ๋ ๋ ์
์
๋๋ค. ์ด๋ฌํ ์๋ฆฌ๋ ๋จ์ง ์คํ์ค ์์์๋ง ์๋ํ์ง ์์ต๋๋ค.
์ค์ ๋ก ์ฐ๋ฆฌ๋ ํจ๊ป ์๊ณ , ํจ๊ป ๋
ธ๋ํ๊ณ , ํจ๊ป ์ฐ๋ ์๋ฆฌ์์ ๊น์ ์
๋ก์ ์น์ ๋ฅผ ๊ฒฝํํ๊ณค ํฉ๋๋ค.
๋๊ธฐ์ ๋งค์ฐ ์ ํฉํ ๊ณต๊ฐ์
๋๋ค.
ํจ๊ป ๋ชจ์ฌ ์ฐฌ์ํ๊ณ ๊ธฐ๋ํ๋ฉฐ ๊ต์ ํ๋ ์๊ฐ์, ๋ง์์ด๋ ์๋ก์ ๊ณ ํต ์ ๋๋๊ณ ๋์ด์ฃผ๋ โ์ํผ์ ์งํต์ โ๊ฐ ๋ฉ๋๋ค.
์ฑ๊ฒฝ์ ์ด๋ ๊ฒ ๋ง์ํฉ๋๋ค. โ๊ธฐ๋ปํ๋ ์๋ค๊ณผ ํจ๊ป ๊ธฐ๋ปํ๊ณ , ์ฐ๋ ์
๋ค๊ณผ ํจ๊ป ์ธ๋ผ.โ (๋ก๋ง์ 12:15)
์ถ์ ๊ฒฐ์ฝ ํผ์ ์ด์๊ฐ๋ ์ฌ์ ์ด ์๋๋๋ค. ์ฐ๋ฆฌ๋ ๋ชจ๋ ๋๊ตฐ๊ฐ์ โํจ
๊ปโ๊ฐ ํ์ํ ์กด์ฌ์ด๋ฉฐ, ๋ ๋๊ตฐ๊ฐ์๊ฒ ํจ๊ป ์์ด์ฃผ๋ ์ฌ๋์ด ๋ ์ ์ ๋ ์กด์ฌ์
๋๋ค.
๋ง์์ด ์ํ ๋, ๋๊ตฐ๊ฐ ๊ณ์ ์์ด ์ค๋ค๋ฉด, ๊ทธ ๊ณ ํต์ ๋ ์ด์ โํผ์์ ๊ฒฌ๋์ผ ํ ๋ฌด๊ฒโ๊ฐ ์๋์ง๋ ๋ชจ๋ฆ
๋๋ค. ์ธ๋ก์์ด ์ํ๊ฒ ํ๋ค๋ฉด, ์ฌ๋ ๊ณผ ๊ณต๋์ฒด๋ ์น์ ํ๊ฒ ํฉ๋๋ค. ์ฐ๋ฆฌ์ ์์ ๊ด์ฌ๊ณผ ์ฐ๋๊ฐ ๋๊ตฐ๊ฐ์ ๋ง ์์ ์งํต์ ๊ฐ ๋์ด์ค ์ ์์ต๋๋ค.
์ค์ผ๋(shagedh)์ ๊ฝ
์ค์ผ๋
์ถฅ๊ณ ์ผ์ด๋ถ์
๋
๊ทธ ํ ๋ณตํ์์
๊ฝ๋ง์ธ์ ํฐํธ๋ฆฌ๋ฉฐ
ํผ์ด๋๋ ๊ฝ์ด๋๋ค.
์จํต ๊ฒจ์ธ ๊ฐ์ ๋ ์ธ๋ฐ
์๋์ ํ๋ฆ์
์์๋๋ณด๋ค
ํน๋
ํ ์ถ์์
์ด๋ฒํ ๋๋ฐ์ ์ง ๋๋ ค๋
๊ฝ๋ง์ธ์ ํฐํธ๋ฆฌ๋ฉฐ
ํ์๊ฒ ํ ๊ฝ
์ฌ์ผ๋์ฌ!
์์ ์ง์ค์
์ด๋ ๊ฒ ํผ์ด๋์
๊ฒฌ๋๋ด๋ฉฐ ์ด๊ฒจ๋ผ ๊ฒ์
๋ณด์ฌ์ฃผ๋ ๊ฝ์ด๋๋ค.
ํ๋๋์ด ๋ง์ํ์ญ๋๋ค. ์๋ ๋ฏธ์ผ์ผ ๋ค๊ฐ ๋ฌด์์ ๋ณด๋๋
๋๋ตํ๋ ๋ด๊ฐ ์ด๊ตฌ๋๋ฌด ๊ฐ์ง(shagedh)๋ฅผ ๋ณด๋์ด๋ค.(๋ 1:11)
์ฌ์ผ๋๋ฅผ ํ๊ตญ์ด์์๋ ์ด๊ตฌ๋๋ฌด๋ผ๊ณ ๋ฒ์ญํ์ง๋ง ์๋ชฌ๋ ๋๋ฌด๋ผ๊ณ ํฉ ๋๋ค.
์ฌ์ผ๋๋ ์์ด ๋์ค๊ธฐ๋ ์ ์ ๋จผ์ ๊ฝ์ ํผ์ด๋ด๋ ๋๋ฌด์
๋๋ค.
๊ทธ๊ฒ๋ ํน๋
ํ ๊ฒจ์ธ์ ํ ๋ณตํ 1์์ ๊ฝ๋ง์ธ ํฐํธ๋ฆฌ๋ ๋๋ฌด์
๋๋ค.
์ ๋์ธ๋ค์ ๋ ์์ ํ ์ฌ์ผ๋์ ๊ฝ์ ๋ณด๋ฉด์ ์ด๋ ๊ฒ ์ธ์น๋ค๊ณ ํฉ๋๋ค.
โ ์กฐ๊ธ๋ง ๋ ๊ฒฌ๋์
์ด๊ฒ์ ์๋ จ์ด๋ค. ๊ณ ํต์ด๋ค. ์์ฒญ๋ ์ถ์์ ํน๋
ํ ์ํ์ด๋ค
๊ทธ๋ฌ๋ ์๋ฌด๋ฆฌ ์ด ๊ณ ๋์ด ์ฌํ ์ง๋ผ๋ ์กฐ๊ธ๋ง ๋ ๊ฒฌ๋์๊ณ ์ค์ผ๋๋ ํผ
์๋ค๊ณ ์ธ์ณค์ต๋๋ค.
โก ์ด์ ํฌ๋ง์ด๋ค.
๊ทธ๋ ๊ณง ๋ด์ด ์จ๋ค. ์ด ํน๋
ํ ์ด๋ ์ ์ธ๋ ฅ์ ์ด์ ๊ณง ์ฌ๊ทธ๋ผ์ง๋ค.
ํ๋๋์ ์ฐ๋ฆฌ์๊ฒ ํฌ๋ง์ ๋ณด์ฌ ์ฃผ๊ณ ์๋ค.
ํฌ๊ธฐํ์ง ๋ง์. ์ ๋งํ์ง ๋ง์. ๊ทธ์ ๋๋ผ๊ฐ ๋ค๊ฐ์จ๋ค. ํฌ๋ง์ ๊ฐ์
โข ํ๋๋์ด ์ง์ผ๋ณด์ ๋ค.
๊ทธ๋ฌ๋ ํํํ์ง ๋ง์. ๋ณ์ง๋์ง ๋ง๋ผ ๊ฟ๊ฟํ๊ฒ ๋ด๋ดํ๊ฒ ๊ธฐ๋๋กค ํค์ณ
๋๊ฐ์
ํ๋๋์ ์๋ ์น๋ฆฌํ ๊ฒ์ด๊ณ ์ง์ค์ ๋๋ฌ๋ ๊ฒ์ด๋ค. ํ๋๋์ ์ฝ์์
๋ฐ๋์ ์ด๋ฃจ์ด์ง๋ค.
[์๋ ๋ฏธ์ผ์ผ, ๋ฌด์์ด ๋ณด์ด๋๋?" ๋ด๊ฐ ๋๋ตํ์๋ค. " ์ด๊ตฌ๋๋ฌด ๊ฐ์ง๊ฐ
๋ณด์
๋๋ค.
๊ทธ๋ฌ์ ์ฃผ๋๊ป์ ๋์๊ฒ ๋ง์ํ์
จ๋ค. " ์ ๋ณด์๋ค. ์ฌ์ค ๋๋ ๋ด ๋ง์ด ์ด
๋ฃจ์ด์ง๋์ง
์๋ ์ด๋ฃจ์ด์ง๋์ง ์ง์ผ๋ณด๊ณ ์๋ค.](๋ 1:12)
ํ๋๋์ ์๋ ๋ฏธ์ผ์๊ฒ ์ค์ผ๋๋ฅผ ๋ณด์ฌ ์ฃผ์์ต๋๋ค. ๊ทธ๋ฆฌ๊ณ ๋ง์ํฉ๋๋ค.
โ๋ด๊ฐ ๊นจ์ฌ์ ์ง์ผ๋ณผ ๊ฒ์ด๋ค ๋ด ๋ง์ด ์ด๋ฃจ์ด์ ธ ์๋ ์ด๋ฃจ์ด์ง๋์ง๋ฅผ...
์ ๊ฐ ํ์์ ๋ค์๋ ๋์์์ด ์์์ต๋๋ค. Jesus Wave์ ๊น์ฑ์ฑ ๋ํ์ ๋ง์์
๋๋ค.
๋ถํ ์ ๊ต์ฌ์
๋๋ค. ๊ทธ๋ฐ๋ฐ ์ผ๋ง์ ์ ๊ฐ ์๋ ์ ๋์ฌ๋์ ํตํด ์ ํด ๋ค ์์ต๋๋ค.
ํ๊ตญ์ด ์ง๊ธ ๋ง์ด ์ด๋ ต๋ค๊ณ ํฉ๋๋ค. ์ด์ฉ๋ฉด ํฌ๋ง์ด ์ฃฝ์ด์ง๋ ๊ฒ๊ฐ๋ค๊ณ
ํฉ๋๋ค.
๋ง์ ๊ตํ๋ ์ข ํธํฅ์ด ๋๋ค๊ณ ํฉ๋๋ค.
์ด์ ๋ ์ํ์
๋ฌ๊ฐ ๋ฏธ๊ตญ์์ ์์ ํ๊ตญ์ ๋ณํ์ํจ ๊ฒ๊ฐ์ด ํด์ธ ํนํ
๋ฏธ๊ตญ์ ์์ ๊ตํ๋ค์๊ฒ ํฌ๋ง์ด ์๋ค๊ณ ํฉ๋๋ค.
๋ฏธ๊ตญ์ ์์ ๊ตํ์๊ฒ์ ์ด๊ตฌ๋๋ฌด์ ํ์์ ๋ณด๊ณ ์ถ๋ ๋ง์์ ์ ํด ์ฃผ ์์ต๋๋ค.
๊ทธ๋์ 8์ 24์ผ ์ฃผ์ผ ์ฐ๋ฆฌ ๊ตํ์์ Jesus Wave ์ฐฌ์ํ๊ณผ ๊น์ฑ์ฑ ๋ํ
๋์ ์ด๋๋ฅผ ํ์ต๋๋ค.
๋ค๋ค 8์ 24์ผ์ ํ๋ง๊ตํ์ ์ค์
จ์ผ๋ฉด ํฉ๋๋ค.
์ด๊ตฌ๋๋ฌด์ ๊ฝ์ ํ์- ์ด์ฉ๋ฉด ์ง๊ธ ํ๊ตญ์ ํน๋
ํ ๊ฒจ์์ ํ๋ณตํ์ผ๋ก
๊ฐ๋ ๊ฒ์ธ์ง ๋ชจ๋ฆ
๋๋ค.
ํ๋๋์ ์ง๊ธ ์๋ ๋ฏธ์์๊ฒ ์ด๊ตฌ๋๋ฌด๋ฅผ ๋ณด์ฌ ์ฃผ๋ฉด์
์์ง์ ํฌ๋ฐ์ด ์์์ ์๋ ค ์ฃผ๊ณ ๊ณ์ญ๋๋ค.
์ฃผ๋์ด ํจ๊ป ํ์๋ฉฐ ํํ์ค ๊ฒ์
๋๋ค.
๊ทธ์ ๋ง์ด ์ด๋ฃจ์ด ๋๊ฐ ๊ฒ์
๋๋ค.
[๋ด ์
์์ ๋๊ฐ๋ ๋ง๋ ํ๋์ด ๋ด๊ฒ๋ก ๋์์ค์ง
์๋ํ๊ณ ๋์ ๋ป์ ์ด๋ฃจ๋ฉฐ ๋์ ๋ช
ํ์ฌ ๋ณด๋ธ ์ผ์
ํํตํ๋ฆฌ๋ผ](์ฌ55:11)
์๋ ๋ฏธ์ผ๋ ์ด๋ ์ ํ ๋ณตํ์์ ์ค์ผ๋์ ํ์์ ๋ณด์์ต๋๋ค.
๊ทธ๋ฆฌ๊ณ ํน๋
ํ ๊ฒจ์ธ ๊ฐ์ ๊ทธ ์๋์ ์ด๋ ์ ๊ฒฌ๋๋ฉฐ
ํฌ๋ง์ ์ ํฌํ๋ฉฐ ์ ์ง์์ ์ฌ๋ช
์ ๊ฐ๋นํด ๋๊ฐ์ต๋๋ค.
์ฌ์ผ๋์ ๋ชจ์ต์ผ๋ก ๋ง์
๋๋ค.
๊ทธ๋ฆฌ๊ณ ํ๋๋์ ์ง์ผ๋ณด์๋ฉด์ ์ด๊ธฐ๊ฒ ํ์
จ์ต๋๋ค.
์! ์ฌ๋ํ๋ ํ์ ์๋งค์ฌ!
์ฌ์ผ๋์ ํ์์ ๋ณด๋ฉฐ์ฃผ์๋ฉฐ ์ฐ๋ฆฌ ๋ฏผ์กฑ์ ์๋ ๋ฏธ์ผ๊ฐ ๋์ด์ฃผ์ง ์๊ฒ ๋
๋๊ณ ์ฃผ๋์ ๋ง์์ ํ๊ณ ์์ต๋๋ค.
[๋๋ ๊ฒฌ๊ณ ํ ์ฑ์, ์ ๊ธฐ๋, ๋ ์ฑ๋ฒฝ์ด ๋ ๊ฒ์ด๋ค.
๊ทธ๋ค์ด ๋๋ฅผ ์น๋ ์ด๊ธฐ์ง ๋ชปํ ๊ฒ์ ๋ด๊ฐ ๋์ ํจ๊ป ํ๋ฉฐ
๋๋ฅผ ๋ณดํธํ๋ฉฐ ์ง์ผ ์ค ๊ฒ์ด๋ค].(๋ 1:18-19)
๋จ๊ธฐ๋๋ฌด๊ฐ์ด ๋ฒ๋ ค์ง
์๋ฌด ์ธ๋ชจ ์ง์ด ์๋
์์ฒํฌ์ฑ์ด์ ์ธ์ ์์์
ํ์ค๋ฅด๋ ๋ถ๊ฝ์ผ๋ก ์ํ๋ค
๋ฐฑ ๋ ํ
๊ฐ์ํฌ์ฑ์ด์
์์ด๋ฆฌ๋ก ๊ฐ๋ํ๋ฐ
๊ทธ ๋ชจ์ต ๊ทธ๋๋ก
๋ง๊ฒ ํ์ค๋ฅด๋
๋จ๊ธฐ๋๋ฌด์ ์์ฑ์ด์ฌ!
๊ฐ์ฅ ์ฝํ ๋ฐ์
๊ฐํจ์ด ๋์ค๊ฒ ํ๋ฉฐ
๊ฐ์ฅ ๋ฎ์ ๊ณณ์์
์กด๊ทํ ์ธํ์ด ๋์ค๋ฉฐ
์๋ฆ๋ต๊ณ ์๋ํ ์์ ๋ก
์ด์ ๋์ค๊ฒ ํ๋
์ ๋น๋ก์ด ์์ฑ์ด์ฌ!
[ ์์ (่ฉฉไฝ) ๋
ธํธ ]
์ด๋ค ๋ถ์ ๋งํฉ๋๋ค. [๋๋ ๊ฑฐ์น ๋ค. ๋๋ ๋ฐ๋ณตํ๋ค.
๋๋ ์์ด๋ฆฌ๊ฐ ๋ง๋ค
๋๋ ํ์ด ๊ฐ๋ํ๋ค
๋๋ ์์ฒํฌ์ฑ์ด๋ค.
๋๋ ์คํจ์์ด๋ค.
์ด๋ ๊ฐ์ผ ํ๋ฐ ๋ ์ด ์๊ฒ ๋๊ฐ?
์ด๋ ๊ฒ ์ด๋ค ์ฃฝ์ ๊ฒ์ด๋ค]
์ด๊ฒ์ด ๋ชจ์ธ์ ์ธ์์ด์๊ณ
๋จ๊ธฐ๋๋ฌด์ ์์ฒํฌ์ฑ์ด๋ก
์ฌ๋ ์ฐ๋ฆฌ๋ค ์ธ์์ผ ๊ฒ์
๋๋ค.
ํ๋๋์ ๋จ๊ธฐ๋๋ฌด์
๊ทธ ๋ชจ์ต ๊ทธ๋๋ก ํํ ํ์ค๋ฅด๋
๋ถ๊ฝ์ผ๋ก ๋ฎ์ด ๋ฒ๋ฆฐ ๊ฒ์
๋๋ค.
์ด๊ฒ์ด ๋ณต์์ด๊ณ
์ด๊ฒ์ด ์ฃผ์ ์ฌ๋์
๋๋ค.
์๋ฌด๋ฆฌ ๋จ๊ธฐ ๋๋ฌด๊ฐ์ ๋์ ์ธ์์ด์ ์ด๋ช
์ธ์ง ๋ชจ๋ฅด๋
์ฃผ๊ป์ ์ํ์๋ ๋ ํ ํ ํ์ค๋ฅด๋ ์์ฑ์ผ๋ก
์ฐ๋ฆฌ๋ฅผ ๋ฎ์ ๋
์์ง ์์ฒ ํฌ์ฑ์ด์
๋จ๊ธฐ๋๋ฌด์ ๋ชจ์ต์ด์ง๋ง ์ด๋ฏธ ์ด๋ช
์ ๋ฐ๋๊ณ ์ถ์ ๋ฐ๋์ด ์ง๊ณ ์์์ต๋๋ค. ์! ์ ๋น๋ก์ด ๋จ๊ธฐ๋๋ฌด์ ์์ฑ์ด์ฌ!