Community News
์ ์ค ํ๊ตญ ๋ฌธํ ํด๋ฝ(Yooโs Korean Culture Club) ์ ์ด ์ทจ์์์ด ์ง๋
9์ 14์ผ์ ๋ฐธ๋ฆฌ์ ์์นํด ์๋ ์ ํฌ์ ๊ตญ์
๋ฌด์ฉ ์ฐ๊ตฌ์(9650 Reseda Blvd., Northridge, CA 91324) ์์ ๊ฑฐํ ๋์๋ค.
์ ์ค ํ๊ตญ ๋ฌธํ ํด๋ฝ์ ๊ตญ์
๋ฌด์ฉ๊ฐ ์ ํฌ์ ๋จ์ฅ์ ์ ์๋ค ๊ฐ์ด๋ฐ ์ดยท
์คยท๊ณ ๋ฑํ์์ ์ค์ฌ์ผ๋ก 2013๋
์ ์ฐฝ๋ฆฝ๋ ๋ด์ฌ ๋จ์ฒด๋ค. ์ฐฝ๋ฆฝ ์ดํ ํ
์๋ค์ ๊ณต์ฐ ๋ด์ฌ๋ฅผ ํตํด ํ๊ตญ์ ์ ํต๋ฌธํ๋ฅผ ์๋ฆฌ๊ณ , ์ง์ญ ์ฌํ ์ ๋ค์ ํ ํ์ฌ์ ์ฐธ์ฌํ๋ฉฐ ๋ด์ฌ์ ๊ฐ์น๋ฅผ ์ค์ฒํด ์๋ค.
์ด๋ฒ ์ทจ์์์์๋ Jayvin Lee์ Jiwoo Choi๊ฐ ๊ณต๋ ํ์ฅ์ผ๋ก ์ ์๋
์๊ณ ์ฐจ์ธ๋ ๋ฆฌ๋์ญ์ ์ด์ด๊ฐ๊ฒ ๋๋ค.
๊ทธ๋์ LA๋๋ฌผ์, ์ฐ๊ฝ ์ถ์ , ์กด๋ฆฌ ์์์์ด ๊ฐ์ตํ ๊ตฌ์ ์ถ์ , San Gabriel Mission Playhouse, LA Police Headquarter, L.A. City Hall, ์
์ธ๋ ์ด ๋์ฐฝํ(ํ์ฅ ์ต๊ทํฉ), ๊ฒฝ๊ธฐ์ฌ๊ณ ๊ฒฝ์ดํ ์ก๋
ํ(ํ์ฅ ์ต๋ฏธ๊ธธ), Pierce College ์์ ์ด๋ฆฐ Valley Asian Festival, YMCA, Granada Hills Library, SFV Museum, Chatsworth High School, ํ๋ฏธ ์ฌ์ฑํ(ํ์ฅ ์ด์ ๋ฏธ), Montrose X-mas Parade, National Night ๋ฑ 40์ฌ ๊ณณ์์ ์ฝ 60์ฌ ๋ช
์ ํ์๋ค์ด ๋ค์ํ ๊ณต์ฐ๊ณผ ๋ด์ฌ๋ฅผ ํตํด ์ง์ญ ์ฌํ ์์ ํ๊ตญ ๋ฌธํ๋ฅผ ์ ์ค ํ๊ตญ ๋ฌธํ ํด๋ฝ(Yooโs Korean Culture Club), ์ ์ ํ์ฅ๋จ
์์ฅ ์ ํํด ์๊ณ , ํ๊ตญ์ ๊ท์คํ ์ ํต์ ๋ณด์ ํ๊ณ ๋ฐ์ ์ํค๋๋ฐ ์ฃผ๋ ฅํ๊ณ ์๋ค.
ํํธ, ์ ํฌ์ ๋จ์ฅ์ ์์ญ ๋
๊ฐ ๋ฏธ๊ตญ ์ ์ญ์์ ๊ณต์ฐ์ ์ด์ด์ค๋ฉฐ ์ ํต ์ ์ ์ ๊ณ์นํด์์ผ๋ฉฐ, ํ๋์ ์ธ ํํ๊ณผ ์ตํฉํ ๋
์ฐฝ์ ์ธ ๋ฌด์ฉ ์คํ์ผ๋ก ํ์ง ๊ด๊ฐ์๊ฒ ํ๊ตญ์ ์๋ฆ๋ค์์ ์๋ฆฌ๋ ๋ฐ ๊ธฐ์ฌํ๊ณ ์๋ค.
์ ํ๋ธ์์ Hiza Yoo๋ฅผ ๊ฒ์ํ๋ฉด ๋ค์ํ ๊ณต์ฐ ์์์ ๋ณผ ์ ์๋ค.
๋ฌธ์: (818) 456-8022, ์น์ฌ์ดํธ www.hizakordance.com
Community News
๋ฐธ๋ฆฌ ๋ํ๋
ธ์ธํ-10์ 4์ผ ์ถ์ ํ์ฌ ๊ฐ์ต
๋ด์ฌ๋ถ ์ด์ฌ๋ค์ ํ์ ๊ธฐ๋ ค ํน๋ณ ํฌ๋ฃจ์ฆ ์ฌํ๋ ์งํ
๋ฐธ๋ฆฌ ๋ํ๋
ธ์ธํ(ํ์ฅ ์ต๋ฏธ๋)๋ ์ค๋ 10์ 4์ผ(ํ ) ์ค์ 10์, ๋ฐธ๋ฆฌ์ ๋ช
์๊ตํ ๋ณธ๋น(18531 Gresham St. Northridge, CA 91324)์์ ์ถ์ ํ
์ฌ๋ฅผ ๊ฐ์ตํ๋ค๊ณ ๋ฐํ๋ค. ์ต๋ฏธ๋ ํ์ฅ์ ์ด๋ฒ ํ์ฌ๋ฅผ ์๋๊ณ ๋ด์ฌ๋ถ ์ด
์ฌ๋ค์ ํน๋ณํ ์ด์ผ๊ธฐ๋ฅผ ์ ํ๋ค. ์ง๋ 5๋
๋์ ๋งค์ฃผ ์ ์ฌ๋ด์ฌ๋ก ๋
ธ์ธ
ํ์๋ค์ ์ฌ๊ฒจ์จ ์ด์ฌ๋ค์ ํ์ ์ ๊น์ ๊ฐ๋์ ๋ฐ์, ๊ฐ์ฌ์ ์๋ฏธ๋ก ์ต
๊ทผ 4๋ฐ 5์ผ ํฌ๋ฃจ์ฆ ์ฌํ์ ๋ง๋ จํ๋ค๋ ๊ฒ์ด๋ค.
์ต ํ์ฅ์ โ80์ธ๋ฅผ ๋ฐ๋ผ๋ณด๋ ์ฐ์ธ์๋ 10๋
์ ๋ ์ ๊ฒ ์๊ฐํ๊ณ ํ๋
ํ๋ฉฐ, ์์๊ณผ ์ฆ๊ฑฐ์์ผ๋ก ๋ด์ฌ์ ์ํ๋ ๋ชจ์ต์ด ๋๊ตฌ์๊ฒ๋ ๊ท๊ฐ์ด ๋
๋คโ๋ฉฐ โ๊ทธ ์ด์ ๊ณผ ์ ์ฑ์ ๋ณด๋ตํ๊ณ ์ ๊ธฐ์ ๋ง์์ผ๋ก ์ด๋ฒ ์ฌํ์ ์ถ
์งํ๋คโ๊ณ ์ ํ๋ค. ์ฌํ์ ์ฐธ์ฌํ ์ด์ฌ๋ค์ ์ ์์ด๋ค ๋ชป์ง์์ ๋์ค
์ค๋ ฅ๊ณผ ์์ ๊ฐ์ผ๋ก ๋ฌด๋๋ฅผ ๋น๋๊ณ , ์ ๋
๋ง๋ค ๋๋ ์ค ์ฐจ๋ฆผ์ผ๋ก ๋ถ์๊ธฐ
๋ฅผ ๋์ฐ๋ฉฐ ์ถ์ต์ ๋
ธ๋๋ฅผ ํจ๊ป ๋๋๋ ๋ฑ ์์ง ๋ชปํ ์๊ฐ์ ๋ณด๋๋ค.
์ถ๋ฐ ์ โ๋จํธ ๊ฑฑ์ โ์ ํ๋ ์ด๋ค์ ์ฌํ ๋ด๋ด 70~80๋
๋์ ์ฃผ์ธ๊ณต
์ผ๋ก ๋์๊ฐ ์์๊ณผ ํ๋ณต์ ๋๋๋ฉฐ ํน๋ณํ ์ถ์ต์ ๋จ๊ฒผ๋ค.
์ต ํ์ฅ์ โ์ด์ฌ๋๋ค์ ์ ์ฑ๊ณผ ๋ฐฐ๋ ค๋ ๋งค์ผ ๋
ธ์ธํ๋ฅผ ์ฐพ๋ ๋ถ๋ค์ ์
ํด ์ด๋ ์์์ ๊ณผ๋ ๋น๊ตํ ์ ์๋ ์ ์ฑ์ค๋ฐ ์์ฌ๋ก ์ด์ด์ง๊ณ ์๋คโ
๋ฉฐ โ์ด์ ์ผ ๊ธ๋ก ๊น์ ๊ฐ์ฌ๋ฅผ ๋๋ฆฐ๋ค.โ๊ณ ์ ํ๋ค.
ํํธ, ๋
ธ์ธ์ ๊ถ์ต ์ ์ฅ๊ณผ ๋ณต์ง ํฅ์์ ์ํด ๊พธ์คํ ๋
ธ๋ ฅํ๋ฉฐ ์ง์ญ ์ด๋ฅด
์ ๋ค์ ์ํ ๋ค์ํ ํ์ฌ์ ์ฑ์ธํ๊ต๋ฅผ ์ด์ํด์จ ์ฐ๋ฐฉ์ ๋ถ ๋ฐ ์ฃผ์ ๋ถ
์ธ๊ฐ ์ฌ๋จ๋ฒ์ธ ๋ฐธ๋ฆฌ ๋ํ๋
ธ์ธํ๋ 10์์ ๋ง์ ์ถ์ ํ์ฌ๋ฅผ ๋ง๋ จํ๋
๋ฐ ์ถ์ ํ์ฌ ์ฐธ๊ฐ๋ฅผ ์ํ๋ ์ด๋ค์ ์พ์ ํ ๊ณต๊ฐ ๋ง๋ จ์ ์ํด ์ฌ์ ์ ์ฒญ
์ด ํ์ํ๋ค.
************ ์ถ์ํ์ฌ ์๋ฆผ *************
ํ์ฌ๋ ์ง: 10์ 4์ผ (ํ ) ์ค์ 10์
์ฅ์ : ๋
ธ์ธํ ๊ฑด๋ฌผ ์ / ๋ฐธ๋ฆฌ์๋ช
์๊ตํ ๋ณธ๋น
์ฃผ์ : 18531 Gresham St. Northridge , CA 91324
๋ฌธ์ : 818-700-8550 ์ต๋ฏธ๋ ํ์ฅ (์พ์ ํ ๊ณต๊ฐ์ ๊ณต์ ์ํด ์ฐธ์์๋ค
์ ์ฒญ์ ์ํฉ๋๋ค.)
์คํจ์ผ์ดโ
-๊ฐ์์ฒ ํผ๋ถ ๊ฑด๊ฐ์ ์ํ ํ์ด์ฅฌ๋ก ๋นํ๋ฏผ C ๋ฏธ๋ฐฑ ๊ด๋ฆฌ
์์นจ์ ๋
์ผ๋ก ๊ณต๊ธฐ๊ฐ ์ฐจ๊ฐ์์ง ๋ ๊ฐ์์ ํผ๋ถ๊ฐ ๊ฑด์กฐํด์ง๊ณ ์
์ฃผ๋ฆ์ด๋ ์กํฐ๊ฐ ์ฝ๊ฒ ๋๋ฌ๋๋
๊ณ์ ์ด๋ค. ์ฌ๋ฆ ๋ด๋ด ๊ฐํ ์์ธ
์ ์ ๋
ธ์ถ๋ ํผ๋ถ๋ ๋ฉ๋ผ๋์ด ์ถ
์ ๋์ด ์น์นํด์ง๊ธฐ ์ฝ๊ณ , ํ์
๊ธฐ ๊ฑด์กฐํจ๊น์ง ๊ฒน์น๋ฉด์ ๊ด๋ฆฌ๊ฐ ๋์ฑ ํ์ํ๋ฐ, ์ด๋ด ๋ ์ ๋ฌธ์ ์ธ ์ผ์ด
๋ฅผ ํตํด ํผ๋ถ ๋ณธ์ฐ์ ๊ฑด๊ฐ์ ํ๋ณตํ๋ ๊ฒ์ด ๋ฌด์๋ณด๋ค ์ค์ํ๋ค. ๋
ธ์ค๋ฆฌ
์ง์ ์์นํ **๋ญ์ค ์คํจ์ผ์ด(LUXE Skincare)**๋ ํ๋ผ์ด๋นํ๊ณ ํธ์ ํ ๊ณต๊ฐ์์ ์ต์ ๊ธฐ๊ธฐ์ ๊ณ ํ์ง ์ ํ์ ์ฌ์ฉํด ๊ณ ๊ฐ ๊ฐ๊ฐ์ธ์๊ฒ ๋ง์ถค
ํ ํผ๋ถ ๊ด๋ฆฌ๋ฅผ ์ ๊ณตํ๋ค. ํนํ ๊ฐ์์ฒ ํผ๋ถ ๊ณ ๋ฏผ์ธ ์กํฐ, ์น์นํจ, ์์ฃผ ๋ฆ์ ์ง์ค์ ์ผ๋ก ์ผ์ดํ ์ ์๋ **โํ์ด์ฅฌ๋ก ๋นํ๋ฏผ C ๋ฏธ๋ฐฑ ๊ด๋ฆฌโ** ๊ฐ ํฐ ํธ์์ ์ป๊ณ ์๋ค. ํ์ด์ฅฌ๋ก์ ๊ณ ๋์ถ ๋นํ๋ฏผ C๋ฅผ ํ์ฉํ ํ์ด์ฅฌ
๋ก ๋นํ๋ฏผ C ๋ฏธ๋ฐฑ ๊ด๋ฆฌ ํ๋ก๊ทธ๋จ์ ํผ๋ถ ์ ๊น์ด ์์์ ๊ณต๊ธํ๊ณ , ์๊ทน









์์ด ํผ๋ถํค์ ํํ๊ฒ ๋ฐํ์ค๋ค. ์ฌ๊ธฐ์ ๊ฐ์ข
์กํฐ, ๊ธฐ๋ฏธ, ์ฃผ๊ทผ๊นจ, ์ฌ๋ง ๊ท ์ ๊ฑฐ ํจ๊ณผ๊น์ง ๊ธฐ๋ํ ์ ์์ด ๊ฐ์์ฒ ์น์นํ ํผ๋ถ๋ฅผ ๋ง๊ณ ํฌ๋ช
ํ๊ฒ ๊ฐ๊ฟ์ค๋ค. ์ต์ ๊ธฐ์ ๊ณผ ๊ผผ๊ผผํ ๊ด๋ฆฌ๊ฐ ๊ฒฐํฉ๋ ์ด ํ๋ก๊ทธ๋จ์ ๋จ ํ ๋ฒ์ ๊ด๋ฆฌ๋ง์ผ๋ก๋ ๋์ ๋๋ ๋ณํ๋ฅผ ์ฒด๊ฐํ ์ ์๋ค๋ ์ ์์ ๊ณ ๊ฐ ๋ง์กฑ๋ ๊ฐ ๋์๋ฐ, ๋ญ์ค ์คํจ์ผ์ด์ ํ์ด์ฅฌ๋ก ๋นํ๋ฏผ C ๋ฏธ๋ฐฑ ๊ด๋ฆฌ๋ ๋ฐ๋ก ์ด๋ฌ ํ ๊ฐ์์ฒ ํผ๋ถ ๊ณ ๋ฏผ์ ํด๊ฒฐํด์ฃผ๋ ์ต์ ์ ์๋ฃจ์
์ด๋ค. ๋ํ, ๋ญ์ค ์คํจ ์ผ์ด๋ ์ผ๋ฐ ํผ๋ถ ๊ด๋ฆฌ(Clear Facial), ์๋ถ ๊ด๋ฆฌ(Glass Skin Facial), ๋ง์ถค ํ ์ฌ๋๋ฆ ์ผ์ด, ๋
ธํ ์๋ฐฉ ๊ด๋ฆฌ(Anti-Aging Facial) ๋ฑ ๋ค์ํ ํ๋ก๊ทธ๋จ ์ ๊ฐ์ถ๊ณ ์๋ค. ๊ฐ์์ฒ ์๋ ์๋ถ๊ณผ ์์ ๊ณต๊ธ, ๊ทธ๋ฆฌ๊ณ ์์ธ์ ์ผ๋ก ์ธ ํ ์์ ์นจ์ฐฉ ์ํ๊ฐ ํผ๋ถ ๊ด๋ฆฌ์ ํต์ฌ์ธ๋ฐ, ๋ณด์ต ์์ฃผ์ ๊ด๋ฆฌ์ ํจ๊ป ํญ์ฐํ ํจ๊ณผ๊ฐ ๋ฐ์ด๋ ๋นํ๋ฏผ C๋ฅผ ํผ๋ถ์ ๊ณต๊ธํ๋ฉด ํ์ ๊ธฐ ํผ๋ถ ํธ๋ฌ ๋ธ์ ์๋ฐฉํ๊ณ ๊ฑด๊ฐํ ์ค๊ธฐ๋ฅผ ๋์ฐพ์ ์ ์๋ค. ์ฃผ์: 9514 Reseda Blvd #13, Northridge, CA 91324 , ๋ญ์ค ์คํจ์ผ์ด ์์ฝ: 818-836-0016






โํ์ฐ์ค
์ค๋ธ ๊ฐ๋นโ, ์ฌ ๊ฐ์ ๋ฏธ์์ ํฅ์ฐ์ผ๋ก ์ด๋!
LA ํ์ธํ์ด์ ๋์ด ๋ฐธ๋ฆฌ ์์๋
ธ
์ง์ญ์ ๋ํ์ ์ธ ์ฝ๋ฆฌ์ ๋ฐ๋นํ
๋ ์คํ ๋์ผ๋ก ์๋ฆฌ ์ก์ 'ํ์ฐ์ค
์ค๋ธ ๊ฐ๋น'๊ฐ ๋ค๊ฐ์ค๋ ๊ฐ์์ ๋ง ์ ๋ค์ฑ๋ก์ด ๋ฉ๋ด์ ํ๋ก๋ชจ์
์ผ๋ก ๊ณ ๊ฐ๋ค์ ๋ง์ดํ๊ณ ์๋ค.
โํ์ฐ์ค ์ค๋ธ ๊ฐ๋นโ์์๋ ์ ์ ํ๊ณ ์ง ์ข์ ๊ณ ๊ธฐ๋ก ๊ตฌ์ฑ๋ '๋ฌด์ ํ
BBQ(All You Can Eat BBQ)' ๋ฉ๋ด๋ฅผ ์ฃผ๋ ฅ์ผ๋ก ๋ด์ธ์ฐ๋ฉฐ, LA๊ฐ๋น, ๊ฝ์ด, ๋ถ๊ณ ๊ธฐ ๋ฑ ๋ค์ํ ๋ถ์๋ฅผ ๋ง๋ณผ ์ ์๋๋ฐ ํนํ, ์ ํต ์ฝ๋ฆฌ์ ๋ฐ๋นํ์
ํ๋ฏธ๋ ํ๊ตญ์ ๋ง์ ๊ทธ๋ฆฌ์ํ๋ ์ด๋ค์ ๋ฌผ๋ก ํ์ง์ธ๋ค์ ์
๋ง๊น์ง ์ฌ
๋ก์ก๊ณ ์๋ค.
๋ฐ๋นํ ์ธ์๋ ๊ณ ๊ฐ๋ค์ ์ทจํฅ์ ๊ณ ๋ คํ ๋ค์ํ ๋ฉ๋ด๋ฅผ ์ ๋ณด์ด๊ณ ์๋
๋ฐ ๋ถ๋๋ฌ์ด ๋ผ์ง ๋ถ๊ณ ๊ธฐ, ๋ด๋ฐฑํ ์๋ถ๊ณ ๊ธฐ ๋ฑ ๋ฉ์ธ ์๋ฆฌ๋ถํฐ ๋๋ฉด, ๋
์ฅ์ฐ๊ฐ, ๊น์น์ฐ๊ฐ ๋ฑ ์์ฌ ๋ฉ๋ด๊น์ง ์ค๋น๋์ด ์๋ค.
๋ํ โํ์ฐ์ค ์ค๋ธ ๊ฐ๋นโ๋ ๊ณ ๊ฐ๋ค์ด ๋ณด๋ค ํฉ๋ฆฌ์ ์ธ ๊ฐ๊ฒฉ์ผ๋ก ๋ฉ๋ด ๋ฅผ ์ฆ๊ธธ ์ ์๋๋ก ํน๋ณ ํ๋ก๋ชจ์
์ ์งํํ๊ณ ์๋๋ฐ, ํน์ ์๊ฐ๋์๋ ๊ฐ๋น, ์์ฃผ, ๋งฅ์ฃผ ๋ฑ์ ํ ์ธ๋ ๊ฐ๊ฒฉ์ ์ ๊ณตํ๋ 'ํดํผ์์' ์ด๋ฒคํธ๋ฅผ ์ด
์ํ๊ณ ์์ผ๋ฉฐ, ๋งฅ์ฃผ ์ธํธ๋ฅผ $14์, ์์ฃผ ์ธํธ๋ฅผ $20.99์ ์ฆ๊ธธ ์ ์๋ค.
๊ทธ๋ฆฌ๊ณ All Day ํ๋ก๋ชจ์
๋ ์๊ณ ๋ฐ๋นํ์ ํจ๊ป ๊ณ๋ค์ด๊ธฐ ์ข์ ์ฃผ๋ฅ ๋ฉ
๋ด๋ ํ์ฑํ๋ค. ๋ํ ๋ค์ํ ํ๋๋ฆฌ์ฟผ, ์นตํ
์ผ, ๋งฅ์ฃผ, ์์ธ์ ์ฆ๊ธธ ์ ์
์ผ๋ฉฐ, ํน์ ๋งฅ์ฃผ 2์์ ์ํค๋ฉด 3๋ฒ์งธ ๋งฅ์ฃผ๋ $1์ ์ ๊ณตํ๊ณ ๋งฅ์ฃผ 1์ + ์์ฃผ 1๋ณ์ $20์ ์ ๊ณตํ๋ All Day Promotion๋ ๋์น ์ ์๋ ํํ์ด๋ค.
ํธ๋ฆฌํ ์์น์ ๋์ ๊ณต๊ฐ์ โํ์ฐ์ค ์ค๋ธ ๊ฐ๋นโ๋ 7,500 ์ ๊ณฑํผํธ์
๋ฌํ๋ ๋์ ๊ท๋ชจ๋ฅผ ์๋ํ๋๋ฐ, ์พ์ ํ๊ณ ์ธ๋ จ๋ ์ธํ
๋ฆฌ์ด์ ๋จ์ฒด ์
๋์ ์์ฉํ ์ ์๋ ๋๋ํ ๊ณต๊ฐ์ ๊ฐ์กฑ ์ธ์, ์น๊ตฌ ๋ชจ์, ๊ฐ์ข
ํ์ ์ฅ
์๋ก๋ ์์์ด ์๋ค. ํ์ฐ์ค ์ค๋ธ ๊ฐ๋น์์๋ "์ธ์ ๋ ์ ์ ํ๊ณ ์ต๊ณ ์ ๋ง์ ์ ๊ณตํ๊ธฐ ์ํด ๋
ธ๋ ฅํ๊ณ ์๋ค"๋ผ๋ฉฐ, "ํ์ฐ์ค์ค๋ธ๊ฐ๋น์์ ์ ํต ์ฝ
๋ฆฌ์ ๋ฐ๋นํ์ ํจ๊ป ์ฆ๊ฑฐ์ด ์ถ์ต์ ๋ง๋ค์ด ๊ฐ์๊ธธ ๋ฐ๋๋ค"๊ณ ์ ํ๋ค.
์ฃผ์: 15927 Ventura Blvd, Encino, CA 91436 ๋ฌธ์: 818-382-2222
์์์ธ (Inheritance Tax) ๋ฐ ์ ์ฐ์ธ (Estate Tax)
๊ธ : ์ค๋ก ์ค ๋ณํธ์ฌ
๋ง์ ์ฌ๋๋ค์ด ์ผ์๋ถ ์์์ ๋ฐ์ผ๋ฉด ์ธ๊ธ์ ๋ด์ผ ํ๋ค๊ณ ๋๋ ค์ํฉ๋
๋ค. ๊ฒฝ์ฐ์ ๋ฐ๋ผ ์ธ๊ธ์ ๋ด์ผ ํ ์๋ ์์ง๋ง, ์บ๋ฆฌํฌ๋์์ ๊ฑฐ์ฃผํ๋ฉฐ
์บ๋ฆฌํฌ๋์์ ๊ฑฐ์ฃผํ๋ ๊ณ ์ธ์ผ๋ก๋ถํฐ ์์ฐ์ ๋ฌผ๋ ค๋ฐ์ ์ฌ๋์๊ฒ๋ ์
์์ธ๊ฐ ์์ต๋๋ค. ์ด ๊ธ์์๋ ์์์ธ ๋ฐ ์ ์ฐ์ธ์ ๊ฐ์ ์์ ๊ด๋ จ ์ธ๊ธ
์ ๋ํด ์ค์ ์ ์ผ๋ก ์ค๋ช
ํฉ๋๋ค.
๋ฏธ๊ตญ์์ ์์์ธ๋ ๊ณ ์ธ์ ์ ์ฐ์ ์ํ์๊ฐ ๋ฐ๋ ์์ฐ์ ๋ํ ์ธ๊ธ์
๋๋ค. ์์ฐ์ ๋ถ๋ฐฐํ๊ธฐ ์ ์ ์ ์ฐ ์์ฒด์์ ๋ฉ๋ถํ๋ ์ฐ๋ฐฉ ๋๋ ์ฃผ ์ ์ฐ ์ธ์ ๊ตฌ๋ณํ๋ ๊ฒ์ด ์ค์ํฉ๋๋ค.
์์์ธ(Inheritance Tax)์ ๋ํ ์ฃผ์ ์ ๋ณด u์ฐ๋ฐฉ, ์บ๋ฆฌํฌ๋์๋ ์์์ธ ์์: ๋ฏธ๊ตญ์๋ ์ฐ๋ฐฉ ์์์ธ๊ฐ ์์ผ๋ฉฐ, ์ ์๋ฐ์ ๋์ด๋ ์ฌ์ฐ์ ์ฐ๋ฐฉ ๊ณผ์ธ ์๋์ผ๋ก ๊ฐ์ฃผ๋์ง ์์ต๋๋ค. 2025๋
ํ์ฌ ์์์ธ๋ฅผ ๋ถ๊ณผํ๋ ์ฃผ๋ ์ผํฐํค, ๋ฉ๋ฆด๋๋, ๋ค๋ธ๋์ค์นด, ๋ด์ ์ง, ํ์ค๋ฒ ์ด๋์์ 5๊ฐ ์ฃผ๋ฟ์
๋๋ค.
u๋ฉ๋ถ์: ์ธ๊ธ์ ์ ์ฐ์ด ์๋ ์์์ ๋ฐ๋ ์ํ์์ ์ฑ
์์
๋๋ค.
u๊ดํ ๊ถ ๊ฒฐ์ : ์์์ธ
๋ ์ํ์๊ฐ ๊ฑฐ์ฃผํ๋
๊ณณ์ด ์๋ ๊ณ ์ธ์ด ๊ฑฐ์ฃผ
ํ๊ฑฐ๋ ์ฌ์ฐ์ ์์ ํ ์ฃผ์ ๋ฒ์ ๋ฐ๋ผ ๋ถ๊ณผ๋ฉ๋๋ค.
์ ์ฐ์ธ(Estate Tax)์ ๋ํ ์ฃผ์ ์ฌ์ค
์ฃผ์ ๋ถ ์ฐจ์์ ์ธ๊ธ์ ์์ง๋ง, ์บ๋ฆฌํฌ๋์ ๊ฑฐ์ฃผ์๋ ์์ ์ฌ์ฐ ๊ท๋ชจ๊ฐ
์ถฉ๋ถํ ํด ๊ฒฝ์ฐ ์ฐ๋ฐฉ ์ ์ฐ์ธ๊ฐ ๋ถ๊ณผ๋ ์ ์์ต๋๋ค.
u์ฐ๋ฐฉ ์ ์ฐ์ธ ๋ฉด์ ๊ธ์ก: 2025๋
์๋ ๊ฐ์ธ์ ์์ ์ฌ์ฐ ๊ฐ์น๊ฐ 1,399
๋ง ๋ฌ๋ฌ ๋ฏธ๋ง์ธ ๊ฒฝ์ฐ ์ฐ๋ฐฉ ์ธ๊ธ์ด ๋ฉด์ ๋ฉ๋๋ค. ์ด ๋ฉด์ ๋ ๋ฐฐ์ฐ์ ๊ฐ์ ์๋ ๊ฐ๋ฅํ๋ฏ๋ก ๋ถ๋ถ๋ ์ต๋ 2,798๋ง ๋ฌ๋ฌ๊น์ง ํจ๊ณผ์ ์ผ๋ก ๋ณดํธํ ์ ์์ต๋๋ค. ๋ฉด์ ๊ธ์ก์ ์ด๊ณผํ๋ ์์ ์ฌ์ฐ์ ๊ฒฝ์ฐ, ๋ฉด์ ๊ธ์ก์ ์ด๊ณผ ํ๋ ๋ถ๋ถ์ ๋ํด ์ต๋ 40%์ ์ฐ๋ฐฉ ์ธ์จ์ด ์ ์ฉ๋ฉ๋๋ค.
u๋ฉ๋ถ์: ์ธ๊ธ์ ๊ณ ์ธ์ ์์ ์ฌ์ฐ์์ ๋ถ๋ดํฉ๋๋ค.
uํฅํ ๋ณ๊ฒฝ ์ฌํญ: ์ฐ๋ฐฉ ์ ์ฐ์ธ ๋ฉด์ ๋ 2026๋
์ ์ฝ 50% ์ญ๊ฐ๋ ์์
์ด๋ฉฐ, ์ด๋ก ์ธํด ๋ ๋ง์ ์์ ์ฌ์ฐ์ด ์ ์ฐ์ธ ๋ถ๊ณผ ๋์์ด ๋ ์ ์์ต๋ ๋ค.
์์์ธ ๋ฐ ์ ์ฐ์ธ์ ๋ํ ์บ๋ฆฌํฌ๋์์ ์
์ฅ u์ฃผ ์ ์ฐ์ธ ์์: ์บ๋ฆฌํฌ๋์์๋ ์ฃผ ์ ์ฐ์ธ๊ฐ ์์ต๋๋ค. ์ฃผ ์ ์ฐ์ธ๋
์์์ธ์๊ฒ ์์ฐ์ด ๋ถ๋ฐฐ๋๊ธฐ ์ ์ฌ๋ง์์ ์ด ์ฌ์ฐ ๊ฐ์น์ ๋ถ๊ณผ๋๋ ์ธ
๊ธ์
๋๋ค.
์ฃผ์ ๋ถ ์ฐจ์์ ์ ์ฐ์ธ๋ 2005๋
์ ํ์ง๋์์ต๋๋ค.
์ ํ ๋๋ ์ ์ฐ ๊ณํ์ ๋ํด ๊ถ๊ธํ ์ ์ด ์์ผ์๋ฉด ์ ์ฐ ๊ณํ, ์ ํ ๋ฐ
์ ์ธ ๊ฒ์ธ ๋ฒ๋ฅ ๋ถ์ผ์ ์์ ๊ณต์ธ ์ ๋ฌธ๊ฐ ์ค ํ ๋ช
์ธ ์ค๋ก ์ค ๋ณํธ์ฌ์
๊ฒ ๋ฌธ์ํ์ญ์์ค. (805-298-0405)
๋ฏฟ์๊ณผ ๊ฒฝํ์ผ๋ก ์ง์ผ์ฃผ๋
๋ ๋ ํ ๋ฒ๋ฅ ๋๋ฐ์
๊ธ:๋ฐ๋ณด๋ผ K. ํ ๋ณํธ์ฌ
310-560-3873
20๋
์ด ๋๋ ๊ฒฝ๋ ฅ์ผ๋ก ํ์ฌ ์ฌ๊ฑด๊ณผ ๊ฐ์ธ ์ํด ์ฌ๊ฑด์ ์ ๋ฌธ์ ์ผ๋ก ๋ค๋ค
์จ ๋ฐ๋ณด๋ผ K. ํ ๋ณํธ์ฌ๋ ํ์ธ ์ฌํ์์ ์ ๋ขฐ๋ฐ๋ ๋ฒ๋ฅ ์ ๋ฌธ๊ฐ์ด๋ค. ํน
ํ ์ค๋ฒ์ฃ ํ์ฌ๋ณ๋ก (Criminal Defense)๊ณผ ์์ฃผ์ด์ ์ฌ๊ฑด์ ๋ํ ์ ๋ฌธ์ฑ
๊ณผ ๋๋ถ์ด, ์๋ง์ ํ์ฌ ์ฌํ ๊ฒฝํ์ ํตํด ์ ํํ ์ฌ๊ฑด ๋ถ์๊ณผ ์น๋ฐํ
์ ๋ต์ ์๋ํ๊ณ ์๋ค.
๋ฐ๋ณด๋ผ ํ ๋ณํธ์ฌ๋ ์ง๊ธ๊น์ง ๋ฐฐ์ฌ์ ์ฌํ(Jury Trial) 50ํ ์ด์์ ์ฑ๊ณต
์ ์ผ๋ก ์ํํ๋ฉฐ ํ๋ถํ ์ค์ ๊ฒฝํ์ ์์์๋ค. ์ด๋ฌํ ๊ฒฝํ์ ๋จ์ํ
๋ฒ์ ์ ์ฐจ๋ฅผ ๋์ด์, ์๋ขฐ์ธ์๊ฒ ์ต์ ์ ๊ฒฐ๊ณผ๋ฅผ ์ด๋์ด๋ด๋ ์๋๋ ฅ์ด
๋๊ณ ์๋ค.
์๋ ๋ด์ฉ์ ๋ฐ๋ณด๋ผ ํ ๋ณํธ์ฌ๋ ์๋ขฐ์ธ๋ค์ ์ฆ์ธ์ธ๋ฐ ํ์ฌ ์ฌ๊ฑด์ด๋
๊ฐ์ธ ์ํด ๋ฌธ์ ๋ก ์ด๋ ค์์ ์ฒํด ์๋ค๋ฉด, ์ค๋ ๊ฒฝํ๊ณผ ์ค๋ ฅ์ ๊ฐ์ถ ๋ฐ๋ณด
๋ผ ํ ๋ณํธ์ฌ ์ฌ๋ฌด์ค์์ ํด๊ฒฐ์ ์ค๋ง๋ฆฌ๋ฅผ ์ฐพ์๋ณด์๊ธฐ ๋ฐ๋๋ค.
์๋ขฐ์ธ ์ฆ์ธ๋ค
์์ด๋ฏธ K
์ ๋ ์์ด์ ์๋ฒ์ง์ธ ์ ๋จํธ์ ์๋๋ก ๊ฐ์ ํญ๋ ฅ ํ์๋ก ๋ถ๋นํ๊ฒ ๊ธฐ
์๋์์ต๋๋ค.
ํ ๋ณํธ์ฌ๋ ์ด ์ฌ๊ฑด์ ๋ํด ์ฒ์๋ถํฐ ๋๊น์ง ์ง์ ๋ณํธํด ์ฃผ์
จ์ต๋๋ค.
์ ์๊ฒ ๋ ๊ฐ๋ฒผ์ด ํ์๋ ๊ธฐ๊ฐ๋์๊ณ , ์ ์ ๋ํ ๋ชจ๋ ์ฆ๊ฑฐ๋ฅผ ์๊ตฌํ๋ฉฐ
๋ฐฐ์ฌ์ ์ฌํ์ ์ค๋นํ์ต๋๋ค.
๋ง์ง๋ง ์๊ฐ์ ์ง๋ฐฉ ๊ฒ์ฌ๊ฐ ๋ง์นจ๋ด ์ด ์ฌ๊ฑด์ ๊ธฐ๊ฐํ์ต๋๋ค! ์ด ์ฌํ์ ๋ช ๋ฌ์ด ๊ฑธ๋ฆฌ๊ณ ๋ง์ ํ์์ด ์์์ง๋ง, ํ ๋ณํธ์ฌ๋ ์ ๋ง ๊ธฐ์๊ณ ๊ฐ์ฌํฉ ๋๋ค.
๋ธ๋ผ์ด์ธ L.
์์ฃผ ์ด์ ํ์๋ก ๊ธฐ์๋์์ต๋๋ค. ํ ๋ณํธ์ฌ์๊ฒ ์ฐ๋ฝํ๊ณ , ๋ณํธ์ฌ๋ ์ฆ์ DMV์์ ์ ๋ฉดํ ์ ์ง๋ฅผ ์ฐ๊ธฐํด ์ฃผ์์ต๋๋ค. ํ ๋ณํธ์ฌ๋ ๊ฒฝ์ฐฐ ๋ณด๊ณ ์, ๊ฒฝ์ฐฐ ๋ฐ๋์บ , ๋ธ๋๋ฐ์ค, ์์ฃผ ์ธก์ ๊ฒ์ฌ๊ฒฐ๊ณผ ๋ฅผ ์๊ตฌํ์ต๋๋ค. ๋ํ ์ ๋ฅผ ์์ฝ์ฌ ํ๋ก๊ทธ๋จ๊ณผ AA(์์ฝ์ฌ ์ค๋
์น๋ฃ ํ๋ก๊ทธ๋จ)์ ์ฐธ์ฌํ๋๋ก ํ์ต๋๋ค. ์ด ๋ชจ๋ ๊ฒ์ด ์ ํผํด๋ฅผ ์ต์ํํ๋
๋ฐ ๋์์ด ๋์๊ณ , ํ์ฌ์ ๊ฒ์ฌ์๊ฒ ์ข์ ์ธ์์ ์ฃผ์์ต๋๋ค. ์ ํ์ค์
์ฝ์ฌ๋๋ ๊ฒฐ๊ณผ๋ฅผ ๊ณ ๋ คํ๋ฉด, ์ด ์ฌ๊ฑด์ ๋ํด ๋๋ผ์ด ํฉ์๋ฅผ ์ด๋์ด๋ธ ๊ฒ ์ด ๊ธฐ์ ์
๋๋ค. ๊ฐ์ฌํฉ๋๋ค!
๋ง๋ฆฌ์ G
ํ๋ฆฌ์จ์ด์์ ์ฐจ๋ฅผ ์ด์ ํ๋ ์ค ๋ฌด๋ฉดํ ๋ฌด๋ณดํ ์ด์ ์์๊ฒ ํ๋ฐฉ ์ถ๋
์ ๋นํ์ต๋๋ค. ์ ๋ง ๋์ฐํ์ต๋๋ค. ๊ณ ํต์ค๋ฌ์ ๊ณ ์ฐจ๋ ์ฌํ๊ฒ ํ์๋
์์ต๋๋ค.
ํ ๋ณํธ์ฌ๊ป ์ฐ๋ฝ๋๋ ธ๋๋ ๊ฒฝ์ฐฐ ๋ณด๊ณ ์๋ฅผ ์ถ์ ํ์ฌ ๋ณด๊ณ ์์ ์ผ๋ถ ์ค
๋ฅ๋ฅผ ์์ ํด ์ฃผ์
จ์ต๋๋ค. ํ ๋ณํธ์ฌ๋ ์ ๋ณดํ์ฌ์ ์ฐ๋ฝ์ ์ทจํ์ ํ
์ฆ์ ์์ฌ์ ์ฒ์ถ ์ง์์ฌ๋ฅผ ์๊ฐํด ์ฃผ์
จ์ต๋๋ค.
์ ๋ 6๊ฐ์ ๋์ ์ฌํ ์น๋ฃ๋ฅผ ๋ฐ์๋๋ฐ, ํ ๋ณํธ์ฌ๋ ๋ฌด๋ณดํ ์ด์ ์ ๋ณด
ํ์์ ๋ฐ์ ์ ์๋ ์ต๋ ๊ธ์ก์ ํ์ํด ์ฃผ์
จ์ต๋๋ค.
ํ ๋ณํธ์ฌ๋ ํญ์ ์ ์ง๋ฌธ์ ์น์ ํ๊ฒ ๋ตํด ์ฃผ์
จ๊ณ , ์ ๋ง ์น์ ํ๊ณ ์ ๋ฌธ ์ ์ด์์ต๋๋ค.
๋ฐ๋ณด๋ผ ํ ๋ณํธ์ฌ ์ ๋ฌธ ๋ถ์ผ:
ํ์ฌ ์ฌ๊ฑด ๋ณ๋ก , ์์ฃผ์ด์ ์ฌ๊ฑด, ๊ฐ์ธ ์ํด
๊ฒฝ๋ ฅ: ํ์ฌ ์ฌํ ๋ฐ ๋ฐฐ์ฌ์ ์ฌํ 50ํ ์ด์
์ฐ๋ฝ์ฒ: 310-560-3873
์น์ฌ์ดํธ: www.dkhdefense.com
์์ฆ์ ์ด์์จ ํ๋ฝ์ด ์ง์๋๋ฉฐ, ์บ๋ฆฌํฌ๋์
์ฃผ๋ฏผ๋ค์๊ฒ ์ฌ์ต์ ๊ธฐํ๊ฐ ํ๋๋๊ณ ์์ต๋
๋ค. ์ฌ์ต์๋ ๊ธฐ์กด ๋์ถ ์กฐ๊ฑด์ ๊ฐ์ ํด ์ฅ๊ธฐ์
์ธ ์ฌ๋ฌด ์์ ์ฑ์ ๋์ด๋ ์ ๋ต์ ์ ํ์
๋๋ค.
์ฃผํ์ ๊ตฌ์
ํ ๋์ฒ๋ผ ๋ค์ดํ์ด๋จผํธ ํน์ ๋ถ
๋์ฐ ์์ด์ ํธ ์ปค๋ฏธ์
๊ฐ์ ๊ตฌ์
๋น์ฉ ์์ด ์ต์ ๊ธฐ๊ฐ๊ณผ ์ด์์จ์ ์ฌ์ค
์ ํด์ ์ ์ง์ถ ๋ถ๋ด์ ์ค์ด๋ ๊ฒฝ์ ์ ์์ฌ๊ฒฐ์ ์
๋๋ค.
์ฌ์ต์๋ ๊ธฐ์กด ๋ชจ๊ธฐ์ง๋ฅผ ์๋ก์ด ๋์ถ๋ก ๋์ฒดํ๋ ๊ณผ์ ์ผ๋ก, ์ฃผ๋ก ์ด์
์จ ์ ํ, ์ํ ๊ธฐ๊ฐ ์กฐ์ , ํน์ ์บ์์์์ ํตํด ํ๊ธ์ ํ๋ณดํ๋ ๋ฐ ํ
์ฉ๋ฉ๋๋ค.
2025๋
9์ Freddie Mac ๋ฐ์ดํฐ์ ๋ฐ๋ฅด๋ฉด, 30๋
๊ณ ์ ๋ชจ๊ธฐ์ง ํ๊ท ์ด์ ์จ์ด 6.35%๋ก ํ๋ฝํ์ต๋๋ค.
์บ๋ฆฌํฌ๋์ ์ง์ญ์์๋ Bankrate ๊ธฐ์ค์ผ๋ก 6.36%๋ฅผ ๊ธฐ๋กํ๋ฉฐ, ์ด๋ ์
๊ตญ ํ๊ท ๊ณผ ์ ์ฌํ ์์ค์
๋๋ค.
LBC Mortgage์ ๊ฐ์ ์ ๋ฌธ ๊ธฐ๊ด์ ๋ณด๊ณ ์ ๋ฐ๋ฅด๋ฉด, Fed์ ๊ธ๋ฆฌ ์ธํ ์
๋ชจ๊ธฐ์ง ์ ๋ฌธ๊ฐ, ์ผ๋น ์ค
NMLS# 1985037
์ฑ
์ผ๋ก ์ธํด 2025๋
์ค๋ฐ๊น์ง ์ด์์จ์ด mid-6% ๋ฒ์์์ ์์ ํ๋
์ ๋ง์
๋๋ค. ์ด๋ 2022-2023๋
๊ณ ๊ธ๋ฆฌ ๋์ถ์ ๋ณด์ ํ ์บ๋ฆฌํฌ๋์ ๊ฐ
์ ์๊ฒ ํนํ ์ ๋ฆฌํ๋ฉฐ, ์ฌ์ต์ ์ ์ฒญ์ด 20% ์ด์ ์ฆ๊ฐํ ๊ฒ์ผ๋ก ์์๋ฉ ๋๋ค. ์ง๊ฐ์ด ๋์ ์บ๋ฆฌํฌ๋์์ ๊ฒฝ์ฐ, ์ต์ ๊ธ์ก์ด ํฌ๋ฉด ์ฝ๊ฐ์ ์ด์์จ
์ฐจ์ด๋ก๋ ๋ง์ ๊ธ์ก์ ์ ํ์ด๋จผํธ ๋ถ๋ด์ ์ค์ผ ์ ์์ต๋๋ค.
๊ตฌ์ฒด์ ์ธ ํํ์ ์ซ์๋ก ์๋ฅผ ๋ค๋ฉด ๋ค์๊ณผ ๊ฐ์ต๋๋ค.
์บ๋ฆฌํฌ๋์์ ํ๊ท ์ฃผํ ๊ฐ๊ฒฉ(์ฝ 80๋ง ๋ฌ๋ฌ)์ ๊ธฐ์ค์ผ๋ก, ๊ธฐ์กด 7.5% ์ด ์์จ ๋์ถ์ 6.35%๋ก ์ฌ์ต์ํ๋ฉด ์ ์ํ์ก์ด 500๋ฌ๋ฌ ์ด์ ์ ๊ฐ๋ ์
์์ต๋๋ค. ์ด๋ ์ฐ๊ฐ 6,000๋ฌ๋ฌ์ ์ฌ์ ์๊ธ์ ์๋ฏธํ๋ฉฐ, ์๋
๊ต์ก๋น, ํด์ง ์ค๋น, ๋๋ ์ถ๊ฐ ํฌ์์ ํ์ฉ ๊ฐ๋ฅํฉ๋๋ค.
์บ๋ฆฌํฌ๋์์์ ์ธ๊ธฐ ์๋ ์ต์
์ผ๋ก๋ rate-and-term ์ฌ์ต์์ ์บ์
์์ ์ฌ์ต์๊ฐ ์๋๋ฐ, ํ์๋ ์ฃผํ ๊ฐ์น ์์น(2025๋
LA ์ง์ญ ํ๊ท
5% ์์น ์์)์ ํ์ฉํด ํ ์ํดํฐ๋ฅผ ํ๊ธํํ ์ ์์ต๋๋ค. ๊ทธ๋ฌ๋ ์ฌ
์ต์ ๊ฒฐ์ ์ ์ ๋ฌธ์ ์ธ ๊ณ ๋ ค์ฌํญ์ด ํ์์
๋๋ค.
์ฒซ์งธ, ๋ธ๋ ์ดํฌ์ด๋ธ ํฌ์ธํธ(break-even point)๋ฅผ ๊ณ์ฐํ๊ณ ๊ฒฐ์ ํ๋ ๊ฒ
๋ฐ๋์งํฉ๋๋ค. ํด๋ก์ง ๋น์ฉ(๋์ถ์ก์ 2-5%, ํ๊ท 5,000-10,000๋ฌ๋ฌ)
์ ์ ๊ฐ์ก์ผ๋ก ๋๋ ํ๋ณต ๊ธฐ๊ฐ์ ์ฐ์ถํฉ๋๋ค. ์๋ฅผ ๋ค์ด, ์ 300๋ฌ๋ฌ ์
๊ฐ ์ 3๋
๋ด ํ๋ณต์ด ์ด์์ ์
๋๋ค.
๋์งธ, ํฌ๋ ๋ง ์ค์ฝ์ด(์ต์ 620์ ์ด์ ๊ถ์ฅ)์ DTI(์ ์๋๋๋น ๋ถ์ฑ) ๋น
์จ(45% ์ดํ)์ ์ ๊ฒํ๋ ๊ฒ ํ์ํฉ๋๋ค. ํ์ธ ์ด๋ฏผ์ ๋ถ๋ค์ ๊ฒฝ์ฐ, ์
๋ ์ฆ๋ช
์ด ๋ถ์กฑํ ์ ์์ผ๋ฏ๋ก ์ต๊ทผ 2๋
์ธ๊ธ ๋ณด๊ณ ์, ์ํ ๋ช
์ธ์, ๊ทธ๋ฆฌ
๊ณ ๊ณ ์ฉ ์ฆ๋ช
์ ๋ฏธ๋ฆฌ ์ค๋นํ๋ ๊ฒ ์ข์ต๋๋ค.
์
์งธ, ์์ฅ ๋ณ๋์ฑ์ ์ ์ํด์ผ ํฉ๋๋ค. US News ์์ธก์ ๋ฐ๋ฅด๋ฉด, 2025
๋
๋ง ํ๊ท ์ด์์จ์ด 6.74%๋ก ์ ์ง๋๋ฉฐ, 2026๋
6.32%๋ก ์ ์ง์ ํ๋ฝ
์ด ์์๋์ง๋ง, ์ธํ๋ ์ด์
์ด ์ฌ์ ํ๋๋ฉด Fed ์ ์ฑ
๋ณํ๋ก ์ด์์จ ์
์น ๋ฆฌ์คํฌ๊ฐ ์์ต๋๋ค. ๋ฐ๋ผ์ ์ ๋ฌธ๊ฐ์ ์์ํด์ ์ ์ ํ ์์ ์ ์ด์
์จ์ ๊ณ ์ (Lock-in) ํ๋ ๊ฒ๋ ํ์ํฉ๋๋ค. ์บ๋ฆฌํฌ๋์์ฃผ ๊ฑฐ์ฃผ์๋ผ๋ฉด
CalHFA ์ฌ์ต์ ํ๋ก๊ทธ๋จ์ ๊ณ ๋ คํ๋ ๊ฒ๋ ํ์ํฉ๋๋ค. ์ ์๋ ๊ฐ์ ์
๋์์ผ๋ก ์ถ๊ฐ ์ง์์ ์ ๊ณตํ๋ฉฐ, ๊ธฐ์กด FHA ๋์ถ ๋ณด์ ์๋ผ๋ฉด Streamline
ํ์ฌ์ ๋ชจ๊ธฐ์ง์ ์ํดํฐ๋ฅผ ๋ ๋ฒ๋ฆฌ์ง๋ก ์ฌ์ต์ ์ต์
์ ์ ํ์ฉํ๋ฉด ๋น
์ฉ ์ ๊ฐ๊ณผ ์ถ๊ฐ์ ์ธ ํฌ์ ์์ต ์คํ์ด๋ผ๋ ์ผ๊ฑฐ์๋์ ํํ์ ์ทจํ ์
์ต๊ทผ 2 -3 ๋
์ฌ์ด์ ์ฃผํ๊ตฌ์
์ ํ์
จ๋ ๋ถ๋ค์ ์ฌ์ต์์ ์ด๋ค ์ด๋์ด ์๊ธฐ๋์ง ๋ฏธ๋ฆฌ ์์๋ณด์ค ํ์๊ฐ ์์ต๋๋ค. ์ ๋ฌธ๊ฐ์ ๋์์ ๋ฐ์์ ์
์ ์๊ฒ ์ ํฉํ ์ต์
์ ์ ํํ๊ธฐ ๋ฐ๋๋๋ค.
๋ฌธ์) ์ผ๋น์ค ์ฃผํ์ต์ ์ ๋ฌธ๊ฐ, MLO NMLS# 1985037 T. 213-219-2688
โ๋ฉ๋์ผ์ด
๊ฐ๊ธ์ด
๋ด ์น์์ ์ข์๊น?
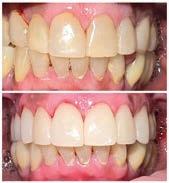
Christopher Chung, DMD
Smile Again Dental Group 818-776-9300
์์น์ง์ ๋ง์น๊ณ ๋์ ๊ฐ๊ธ ํ ๋ฒ ํ๋ฉด, ์
์์ด ํจ์ฌ ๊ฐ์ดํด์ง๊ณ ์์พํ ์ฃ . ์ฌ์ค ๊ฐ๊ธ์ ๊ทธ๋ฅ ์๋ฌด๊ฑฐ๋ ์จ๋ ๋ค ๋น์ทํ ๊ฒ ๊ฐ์ง๋ง, ์ฑ๋ถ๊ณผ ์ฉ๋
์ ๋ฐ๋ผ ๊ฝค ํฐ ์ฐจ์ด๊ฐ ์์ต๋๋ค. ์ด๋ค ๊ฐ๊ธ์ด ์น์ ๊ฑด๊ฐ์ ๋์์ด ๋๋ ์ง, ๋ ์ธ์ ์ด๋ป๊ฒ ์ฌ์ฉํ๋ ๊ฒ ์ข์์ง ์กฐ๊ธ ๋ ์์ธํ ์ ๋ฆฌํด๋ดค์ต๋ ๋ค.
๋ถ์ ํจ์
๋จผ์ ๊ฐ์ฅ ํํ ๋ณผ ์ ์๋ ๊ฒ์ด ๋ถ์๊ฐ ๋ค์ด ์๋ ๊ฐ๊ธ์
๋๋ค. ๋ถ์๋
์ถฉ์น๋ฅผ ์๋ฐฉํ๋ ๋ฐ ์์ฃผ ์ค์ํ ์ฑ๋ถ์
๋๋ค.
์น์ ํ๋ฉด์ ๋ ๋จ๋จํ๊ฒ ๋ง๋ค์ด์ฃผ๊ณ , ์ฐ์ ์ํ ์์์ ์ค์ฌ์ฃผ์ฃ . ํนํ
์ถฉ์น๊ฐ ์์ฃผ ์๊ธฐ๊ฑฐ๋ ๋จ ์์์ ์์ฃผ ๋จน๋ ๋ถ๋ค, ์น์๊ฐ ์ฝํ๋ค๊ณ ๋๋ผ
๋ ๋ถ๋ค์๊ฒ ์ ์ฉํฉ๋๋ค. ๋ถ์ ๊ฐ๊ธ์ ํ๋ฃจ์ ํ ๋ฒ, ํนํ ์๊ธฐ ์ ์ฌ์ฉ
ํ๋ฉด ๋ ํจ๊ณผ์ ์ด์์. ๋ฐค์๋ ์นจ์ด ๋ ๋์์ ์ถฉ์น๊ฐ ๋ ์ฝ๊ฒ ์๊ธฐ๊ธฐ
๋๋ฌธ์, ์ ๋ ๋ถ์๊ฐ ์น์๋ฅผ ๋ณดํธํด์ฃผ๋ฉด ํจ์ฌ ๋ ๋ ํ์ฃ .
ํญ๊ท ์ฑ๋ถ
ํ ๊ฐ์ง ์ฃผ์ํ ์ ์ด ์์ด์. ๊ฐ๊ธ์ ๋๋ฌด ์์ฃผ ํ๋ ๊ฑด ์ข์ง ์์ต๋๋ค. ํ๋ฃจ์๋ ๋ช ๋ฒ์ฉ ์ต๊ด์ฒ๋ผ ๊ณ์ ์ฌ์ฉํ๋ฉด, ํด๋ก์ด ์ธ๊ท ๋ฟ ์๋๋ผ ์
์ ์ ํ์ํ ์ข์ ์ธ๊ท ๊น์ง ์ค์ด๋ค ์ ์์ต๋๋ค. ๊ทธ๋ฌ๋ฉด ์คํ๋ ค ๊ตฌ๊ฐ ํ๊ฒฝ
์ด ๋ถ์์ ํด์ง๊ณ , ์
์์ด ๊ฑด์กฐํด์ง ์ ์์ต๋๋ค. ๊ทธ๋์ ์ผ๋ฐ์ ์ผ๋ก๋
ํ๋ฃจ 1~2ํ ์ ๋๋ง ์ฌ์ฉํ๋ฉด ์ถฉ๋ถํฉ๋๋ค.
๊ฐ๊ธ์ ์น์์ ์๋ชธ ๊ฑด๊ฐ์ ์ง์ผ์ฃผ๋ ์ข์ ๋ณด์กฐ ์๋จ์ด์ง๋ง ์ด๋๊น์ง ๋ ๋ณด์กฐ์ผ ๋ฟ, ์นซ์์ง๊ณผ ์น์ค์ ๋์ ํ ์๋ ์์ต๋๋ค.
์์ ์๊ฒ ๋ง๋ ์ ํ์ ๊ณจ๋ผ์ ์ ์ ํ ๋์, ์ ๋นํ ํ์๋ก ์ฌ์ฉํ๋ ๊ฒ
์ด ๊ฐ์ฅ ํ๋ช
ํ ๋ฐฉ๋ฒ์
๋๋ค.
๊ทธ๋ค์์ ํญ๊ท ์ฑ๋ถ์ด ๋ค์ด ์๋ ๊ฐ๊ธ์
๋๋ค. ๋ํ์ ์ผ๋ก ํด๋ก๋ฅดํฅ์
๋ ์ฑ๋ถ์ด ์๋๋ฐ, ์ด๋ ์๋ชธ ์งํ์ด๋ ์ฌํ ์ผ์ฆ์ด ์์ ๋ ํจ๊ณผ์ ์
๋
๋ค. ์
์ ์ธ๊ท ์ ํ์คํ๊ฒ ์ต์ ํด์ฃผ์ง๋ง, ๋จ์ ๋ ์์ด์. ์ค๋ ์ฐ๋ฉด ์น
์๊ฐ ๋๋ ๊ฒ ์ฐฉ์๋๊ฑฐ๋ ์์ ๋ง์ด ๋ค๋ฅด๊ฒ ๋๊ปด์ง ์ ์์ต๋๋ค. ๊ทธ๋์
์ด๊ฑด ๋ณดํต ์น๊ณผ์์ ์ค์ผ์ผ๋ง์ด๋ ์๋ชธ ์น๋ฃ ํ์ ๋จ๊ธฐ๊ฐ ์ฒ๋ฐฉํ๋ ๊ฒฝ
์ฐ๊ฐ ๋ง์ต๋๋ค. ๋งค์ผ ์ฐ๋ ๋ฐ์ผ๋ฆฌ ๊ฐ๊ธ ์ด๋ผ๊ธฐ๋ณด๋ค๋ ์น๋ฃ์ฉ์ผ๋ก ์๊ฐ ํ์๋ฉด ๋ ๋ง์ต๋๋ค.
๋ฌด์์ฝ์ฌ
์
์์ด ์๋ฏผํ๊ฑฐ๋ ์๊ทน์ ์ฝํ ๋ถ๋ค์ ๋ฌด์์ฝ์ฌ ๊ฐ๊ธ์ ๋ง์ด ์ฐพ์ต๋ ๋ค. ์์ฝ์ฌ์ด ๋ค์ด ์์ผ๋ฉด ๊ฐ๊ธํ ๋ ํ๋๊ฑฐ๋ฆฌ๊ณ ๋ฐ๊ฐ์ด ๋๋์ด ์๋๋ฐ, ๋ฌด์์ฝ์ฌ ์ ํ์ ํจ์ฌ ์ํด์ ์์ด๋ค์ด๋ ์ ๋ง์ด ๋ฏผ๊ฐํ ๋ถ๋ค์๊ฒ ์ ํฉํฉ๋๋ค. ์์ฆ์ ๋ฌด์์ฝ์ฌ ๊ฐ๊ธ ์ค์์๋ ๊ตฌ์ทจ ์ ๊ฑฐ๋ฅผ ๊ฐ์กฐํ ์ ํ์ด ๋ง์์, ์
๋์๊ฐ ์ ๊ฒฝ ์ฐ์ผ ๋ ๋์์ด ๋๊ธฐ๋ ํฉ๋๋ค.
๊ทธ๋ฆฌ๊ณ ์์ฆ์ ๋ฏธ๋ฐฑ ํจ๊ณผ๋ฅผ ๊ฐ์กฐํ๋ ๊ฐ๊ธ๋ ๋์ ๋์ฃ . ์ปคํผ๋ ์ฐจ๋ฅผ ๋ง
์ด ๋์๋ ๋ถ๋ค์ด ๊ด์ฌ์ ๊ฐ๋๋ฐ, ์ฌ์ค ์ด๊ฑด ์น์ ๋ณธ์ฐ์ ์์ ๋ฐ๊พธ๋ ๊ฑด ์๋๊ณ , ํ๋ฉด์ ๋ถ์ ์ฐฉ์์ ์ด๋ ์ ๋ ์ค์ฌ์ฃผ๋ ์ ๋๋ผ๊ณ ๋ณด์๋ฉด ๋ฉ ๋๋ค. ์น์ ๋ฏธ๋ฐฑ ์น๋ฃ์ฒ๋ผ ํ ๋๋ผ๋งํฑํ ํจ๊ณผ๋ ์์ง๋ง, ์ํ ์ต๊ด๊ณผ ํจ๊ป ์ฐ๋ฉด ์กฐ๊ธ์ ๋ฐ์์ง ๋๋์ ๋ฐ์ ์ ์์ด์.
๋ฉ๋์ผ์ด ์ ๋ฌธ ์๋ด๊ฐ ์กฐ์ค ํ์ด ์๋ ค๋๋ฆฝ๋๋ค. ๋ฌธ์ : ์กฐ์คํ (818) 606-9486
์ง๋ฌธ1) ์๋
์ ๋ฐธ๋ฆฌ๋งค๊ฑฐ์ง์ ํตํด 2025๋
๋ฉ๋์ผ์ด ๋ณํ์ ๊ดํ ๊ธ์ ์ ์ฝ์์ด์. 2026๋
2025๋
๋ฉ๋์ผ์ด ๋ณํ์
๊ดํ ๋ด์ฉ๋ ๊ฐ๋จํ ์ค๋ช
ํด ์ฃผ์ค๋์ ?
๋ต ) ์ข์ ์์์ ์ฌ๋ฌ ํ์ฌ์ HMO ํ๋๋ค์ ๋ฒ ๋คํ์ด ์ข์์ก์ด์
๊ทธ๋ฌ๋ ๋์ ์์๋ ์์ด์. ๋ฉ๋์ผ์ด ํ๋ฆฌ๋ฏธ์์ด $185.00์์
$206.50 ์ผ๋ก ์ฌ๋ผ ๊ฐ๊ณ ์ฝ๋ณดํ ( Part D ) 1๋
๋ฉ์๋ฉ ์ด $2000.00์
์ $2100.00 ๋ก ์ฌ๋ผ ๊ฐ์ต๋๋ค.
์ง๋ฌธ 2) 2026๋
๋ฉ๋์ผ์ด ํ๋์ค์ ์ข์์ง ํ๋์ ๊ฐ๋ตํ๊ฒ ์๋ ค์ฃผ์ค๋์ ?
๋ต )
1. ๋ฆฌ๋ฒ ์ดํธ, ์ ์ฝ ํ๋์ค์ 1๋ฌ์ $185 ๊น์ง ๋ณด์กฐํด์ฃผ๋ ํ๋์ด ์ฌ๋ฌ ๊ฐ ์์ด์. ๋ฉ๋์ผ์ด ํ๋ฆฌ๋ฏธ์์ด ๋ถ๋ด์ค๋ฝ๊ฑฐ๋ ์์ฌ์๊ฒ ์์ฃผ ๊ฐ์ง ์ ๋ ๊ฑด๊ฐํ ๋ถ๋ค์๊ฒ ์ด ํ๋์ ์ถ์ฒ ํฉ๋๋ค.
2. UCLA, ์๋์ค ์ฌ์ด๋, ์์ฅฌ๋, ์์ฃ ์
, UCI ๋ฑ๋ฑ ๊ฐ์ ์๋ HMO ํ๋: ๊ฑด๊ฐํ์ง ์์ ๋ถ, 2026๋
์์ ๊ณํ์ด ์๋๋ถ๋ค์๊ฒ ์ดํ๋๋ค์ ์ถ์ฒ ํฉ๋๋ค. ์์ํ ๋ฒ ๋คํ์ ์ ์ด๋๊ณ Special ์์ฌ๋ถ๋ค์ด ๋ง์ ๋ณดํ์ ๊ฐ์
ํ์ธ์.
3.. ์น๊ณผ๋ณด์กฐ๋ฅผ ๋ง์ด ํด์ฃผ๋ ๋ณดํ : ์น๊ณผ ์น๋ฃ๊ฐ ๋ง์ด ํ์ํ๋ถ์ ๋น์ฐํ ์น๊ณผ ๋ณด์กฐ๋ฅผ ๋ง์ด ๋ณด์กฐํด์ฃผ๋ ํ ๋ฉ๋์ผ์ด ๋ณดํ๊ธฐ๊ฐ์ค ์๋์ด๋ถ๋ค๊ณผ ์์ด์ ํธ ๋ชจ๋ ๊ฐ์ฅ ๋ฐ์๊ณ ์คํธ๋ ์ค๊ฐ ๋ง ~~~ ์๊ธฐ๋ 10์์
๋๋ค. ์ฌํด๋ ํ๋๋ณ๊ฒฝ, ๋ฉ๋์นผ๊ทธ๋ฃน์ ํฉ๋ณ, ํ๊ตญ์์ฌ๊ฐ ๋ง์ ๋ฉ๋์นผ ๊ทธ๋ฃน๊ณผ ํ๊ตญ ์๋์ด๋ถ๋ค์ด ๋ง์ด ๋ฑ๋ก๋์ด ์๋ ๋ณดํํ์ฌ์์ ๊ฒฐ๋ณ ๋ฑ ์์ธํ ์ ๋ณด๋ฅผ ์๊ณ ๊ฒฐ์ ํ์
์ผ ํฉ๋๋ค. 10์๋ถํฐ 12์ 15์ผ ๊น์ง ๋งค์ฃผ ํ ์์ผ 12์-4์๊น์ง ๋
ธ์ค๋ฆฌ์ง ๊ฐค๋ฌ๋ผ์ ๋ง์ผ ์์ ์๋ด์ ๋ฐ์ต๋๋ค. ๊ถ๊ธํ์ ์์ผ์๋ฉด ๋ฌผ์ด ๋ณด์ธ์ .
Health
๋์ผ๋ก ์ ํ์
์ผ ํฉ๋๋ค. ๋จ ํ๋์ ๋ฐ๋ผ ์ปค๋ฒํด์ฃผ๋๊ฒ ๋ฌ๋ผ์. ์ํ
๋ํธ๋ ์ ๊ฒฝ์น๋ฃ๊ฐ ํ์ํ ๋ถ์ ๋ณดํ์ด ์ปค๋ฒํด์ฃผ๋ ๋ฏธ๋ฆฌ ์์๋ณด์
์ผํฉ
๋๋ค. 2026๋
์ ๋ณดํํ๋๊ณผ OTC ์นด๋๋ฅผ ํฉ์ณ์ ์ฌ์ฉํ๋ฉด $3000 ์ด์
๋ณด์กฐํด ์ฃผ๋ ํ๋๋ค์ด ์์ด์.
4. OTC , ๊ณจํ, ๋ง์ผ๋น ๋ณด์กฐ๊ฐ ๋ง์ ๋ณดํ๋ค:
๊ฑด๊ฐํ๊ณ ์น๊ณผ๋ ํ์์๋ ๋ถ๋ค์ ๋ณธ์ธ์ด ํ์ํ ๋ณด์กฐ๋ฅผ ๋ง์ด ์ฃผ๋ ํ
๋์ ์ ํ์ธ์. ๊ณจํ, ๋ง์ผ๋น, ํ์์ ๋ฑ ๋ณธ์ธ์๊ฒ ํ์ํ ํํ์ ์ ํ ์๋ฉด ๋ฉ๋๋ค. 2026๋
์ ๋น๋จ, ์ฌ๋ถ์ ์ฆ, ํ์ฌ์ฆ์ด ์๋๋ถ๋ค์๊ฒ 3๊ฐ
์์ $300~ $700๊น์ง ๋ณด์กฐํด์ฃผ๋ ํ๋๋ค์ด ๋์์ด์. ํ๋๋ง๋ค ์กฐ๊ฑด
์ด ๋ค๋ฅด๋ ์์ด์ ํธ์ ์๋
ผํด์ ๊ฒฐ์ ํ์ธ์. (ํ๋๋ง๋ค ์๊ฒฉ์ด ๋ฌ๋ผ์ง ๋๋ค.)
5. ์จํ๋ฆฌ๋ฉํธ ๋ณดํ๋ฃ๊ฐ ๋ถ๋ด ๋์๋ ๋ถ๋ค์ PPO๋ณดํ๋ ๊ณ ๋ ค ํ์ธ์.
HMO ํ๋์ค์ ์ข๋ ์์ ์ค๋ฝ๊ฒ ์์ฌ์๊ฒ ๊ฐ ์ ์๋ PPO ํ๋๋ ๊ณ
๋ คํ์ธ์.
์ง๋ฌธ 3) ๊ทธ๋ฌ๋ฉด 2026๋
๋ฉ๋์ผ์ด ํ๋์ค์ ๋๋น ์ง ํ๋๋
์๋์ ?
๋ต ) ๋ค
1 ์ฌ๋ฌ PPO ํ๋๋ค์ด ๋ด๋
์๋ ์์ด ์ง๋๋ค. (์จํ๋ฆฌ๋ฉํธ ๋ณดํ ํ๊ณ ๋ค๋ฆ
๋๋ค.)
2. ์ฌ๋ฌ ์ฝ๋ณดํ (PDP) ํ๋๋ค์ด ๋ง์ผํ
์ ์ค์ง ํ์ต๋๋ค.
๋ฉ๋-๋ฉ๋ ์์ผ์ ๋ถ๋ค์ ๋งค๋ฌ ํ๋ฆฌ๋ฏธ์์ ์๋ด๋ ํ๋์ด ์ ์ ์์์ง ๊ณ ์์ด์.
3. ์ฌ๋ฌ ๋ณดํํ์ฌ๊ฐ ๋ฉ๋์นผ ํ๋์๋ง ๋ฒ ๋คํ์ ๋ ์ฃผ๊ณ ๋ฉ๋์นผ ํ๋์
๋ ์ ๊ฒฝ์ ์ฐ๊ณ ์์ต๋๋ค. ~ ๋ฉ๋์ผ์ด๋ง ๊ฐ์ง๋ถ๋ค์ ์ด๋กํ๋ผ๊ณ ์ใ
ใ
2030๋
์ ๋ฉ๋์นผ ํ๋์ ๋ณ๊ฒฝ์ด ์์ ์์ ์
๋๋ค.
ํ์ฌ๋ ๋ฉ๋์ผ์ด์ ๋ฉ๋์นผ์ ๊ฐ๊ณ ์๋ ๋ถ๋ค์ด ์ฌ๋ฌ ๋ณดํํ์ฌ์ ๋ฑ๋ก
์ด ๊ฐ๋ฅํ์ง๋ง 2030๋
๋ถํฐ๋ ๋ฉ๋์นผ๊ณผ ์ง์ ์ปจํธ๋์ด ์๋ ํ์ฌ์๋ง
๋ฑ๋ก์ด ๊ฐ๋ฅ ํฉ๋๋ค. ์ฌ๊ธฐ์ ๊ดํด์๋ ๋ค์์ ๋ ์์ธํ ์ค๋ช
ํ๊ฒ ์ต๋๋ค.
์ง๋ฌธ4) ์์ธ๋ฉ๋์นผ๊ทธ๋ฃน๊ณผ ํ๋ฏธ๋ฉ๋์นผ๊ทธ๋ฃน์ด ํฉ๋ณํ๋ค๊ณ ํ
๋๋ฐ ์ ๋ ํ์ฌ ํ๋ฏธ ๋ฉ๋์นผ๊ทธ๋ฃน์ Dr. ๋ฐ์ด ์ฃผ์น์ ์
๋
๋ค. ์ ๊ฐ ํด์ผํ ์ผ์ด ์๋์?
๋ต) ๋ค~
์์ธ ๋ฉ๋์นผ ๊ทธ๋ฃน๊ณผ ํ๋ฏธ ๋ฉ๋์นผ๊ทธ๋ฃน์ด ํฉ๋ณ์ผ๋ก ํ๋ฏธ ๋ฉ๋์นผ ๊ทธ๋ฃน์
์ด๋ฆ์ 2025๋
12์ 31์ผ๋ก ์์ด์ง๋๋ค.
2026๋
1์ 1์ผ ๋ถํฐ๋ ์์ธ ๋ฉ๋์นผ ๊ทธ๋ฃน ํตํฉ์ด ๋๋ฉฐ ํ๋ฏธ๋ฉ๋์นผ์
์๋ ๋ถ๋ค์ ๋ชจ๋ ์์ธ ๋ฉ๋์นผ๊ทธ๋ฃน์ผ๋ก ๋ณ๊ฒฝ๋ฉ๋๋ค. ํ์ฌ์ฐจ์์์ ํ ๊บผ๋ฒ์ ๋ณ๊ฒฝ์ ํด ์ค๋ค๊ณ ํด์. 12์๊ฒฝ์ ์ ์์ด๋ ์นด๋๊ฐ ์ค๋ฉด ํ๋ฆฐ ๊ฒ ์๋ ํ์ธ ํ์๊ณ ์นด๋๋ฅผ ๋ฐ์ง ๋ชปํ ๋ถ๋ค์ ๋ณดํํ์ฌ์ ์ฐ๋ฝํด์ ๋ณ ๊ฒฝํ์
์ผ ํฉ๋๋ค.
1. ์ฐ์ 2026๋
์์คํฐ๋ฐ ํ๋์ ๊ฒํ ํ์ธ์.
์์คํฐ๋ฐ ํ๋์ด ๋ณธ์ธ์๊ฒ ์ ๋ง์์ ๋ค๋ฅธ ํ๋์ผ๋ก ๋ณ๊ฒฝํ๋ค๋ฉด ๊ฑฑ
์ ๋~ ๋ค๋ฅธ ํ๋์ผ๋ก ๋ณ๊ฒฝํ๋ฉด ๋ฉ๋๋ค.
2. ์ฌ๋ฌ ํ๋์ ๋น๊ตํด๋ ์์คํฐ๋ฐ ํ๋์ด ๊ฐ์ฅ ์ ํฉํ๋ค๊ณ ์๊ฐ๋๋ฉด 2 ๊ฐ์ง ๋ฐฉ๋ฒ์ด ์์ด์.
A) ์์คํฐ๋ฐ๋ณดํ์ ๋ฐ๋ ๋ฉ๋์นผ๊ทธ๋ฃน์ ์ ํํ๋ฉด ๋ฉ๋๋ค.
*ํ๊ตญ์ธ ์ฃผ์น์๊ฐ ์๋ ์ผํฐ ๋ฉ๋์นผ ๊ทธ๋ฃน์ ์์๋ ์ฃผ์น์-๋ฐธ๋ฆฌ์์ ํ์คํ ๊ฒฐ์ ํ ์์ฌ๊ฐ ์์ด์. 11์๋ฌ์ ์์ฌ๊ฐ ๊ฒฐ์ ๋๋ฉด ์๋ ค๋๋ฆด๊ป์.
* ์์ธ ๋ฉ๋์นผ ๊ทธ๋ฃน๊ณผ ์ผํฐ๋ฉ๋์นผ๊ทธ๋ฃน์ ๊ฒธ์ฉํ ์์ฌ๋ถ๋ค์ด ์ฌ๋ฟ ์์ต ๋๋ค.
* Regal, Lakeside, Medi-choice ์ธ๊ตญ์ธ ๊ทธ๋ฃน์ ํ๊ตญ์ธ ์์ฌ๋ฅผ ์ ํํด๋ ๋ฉ๋๋ค.
์ฐธ๊ณ : ๋ฐธ๋ฆฌ์์ ๊ฐ์ ์๋ ์์ฌ:
Regal (๋ฆฌ๊ฑธ) ๋ฉ๋์นผ ๊ทธ๋ฃน:๋ฐธ๋ฆฌ- Dr: ์ ์๋ฆฌ์ (An, Eliza)- 747-8007454
Dr. ์ฅ๊ตญ์ผ (Chang, Kook I)- 818-780-7771
B)ํ์ฌ ์์ธ ๋ฉ๋์นผ ๊ทธ๋ฃน์ ์ฃผ์น์๋ฅผ ์ ์งํ๊ณ ์ถ์๋ถ~๋ณดํ์ ๋ฐ๊พธ๋
๋ฐฉ๋ฒ๋ฐ์ ์์ด์.
**๋ณธ์ธ์๊ฒ ์ ๋ฆฌํ ์ชฝ์ผ๋ก ์ ํํ์๋ฉด ๋ฉ๋๋ค.
**๊ถ๊ธํ ์ ์์ผ์๋ฉด ์กฐ์ค ํ ์๋์ด ๋ณดํ ์์ด์ ํธ 818-606-9486
์ผ๋ก ์ ํ๋ Text, ์ด๋ฉ์ผ joannehongins@gmail.com์ผ๋ก ์ฐ๋ฝ ์ฃผ์ธ์.
๊ฑด๊ฐ๋ณดํ์ ๋ ๊ฒฉ๋ณ, 2026๋
๋น์ ์ ๊ฑด๊ฐ์ ์ง์ผ๋ผ!
Justin Oh (213-676-7008)
2025๋
7์ 4์ผ, ๋๋๋ ํธ๋ผํ ๋ํต๋ น์ด ์๋ช
ํ 'One Big Beautiful Bill Act (OBBBA)'๋ 2026๋
๋ฏธ๊ตญ ๊ฑด๊ฐ๋ณดํ ์์ฅ์ ๋ ๊ฒฉ๋ณ์ ์๊ณ ํ๊ณ ์ ๋ค. ๋ณด๊ฑด ์ง์ถ๊ธ์ด ์ญ๊ฐ๋๊ณ ๋ฐฉ๋งํ ์ด์์ ๋ฐ๋ก ์ก๊ธฐ ๋๋ฌธ์ด๋ค.
๋ค๊ฐ์ค๋ 10์ 15์ผ๋ถํฐ 12์ 7์ผ๊น์ง ๋ฉ๋์ผ์ด ์ฐ๋ก ๊ฐ์
๊ธฐ๊ฐ(AEP) ๊ณผ, 11์ 1์ผ๋ถํฐ 1์ 31์ผ(1์๋ถํฐ ํํ์ ๋ณด๋ ค๋ฉด 12์ 15์ผ๊น์ง ๊ฐ ์
)๊น์ง ์ค๋ฐ๋ง์ผ์ด ์ฐ๋ก ๊ฐ์
๊ธฐ๊ฐ(OEP)์ ๊ทธ ์ด๋ ํด๋ณด๋ค ํ๋ช
ํ ์
ํ์ผ๋ก ๊ฑด๊ฐ์ ์ง์ผ๋ด์ผ ํ๋ค.
<๋ฉ๋์ผ์ด: ์๋ฃ๋น ์ง์ถ์ ์ต์ํํ๋ผ>
์ค๋ฆฌ์ง๋ ๋ฉ๋์ผ์ด ํํธ A ์ B, ๋
๋ฆฝํ ์ฝ ๋ณดํ (PDP) ํ๋์ ๊ฐ์ง๊ณ
๊ณ์ ๋ค๋ฉด ์ฝ๊ฐ ๋ถ๋ด์ด ํฌ๊ฒ ๋์ด๋ ์ ์๊ธฐ์ ๋ฉ๋์ผ์ด ์ด๋๋ฐดํฐ์ง๋ก
๋ณ๊ฒฝ์ ๊ณ ๋ คํด ๋ณผ ์ ์๋ค.
CA Lic. #4279894
2026๋
์๋ ๋ฉ๋์ผ์ด ํํธ D ๊ฐ์
์์ ์ฐ๊ฐ ์ฝํ ๋ณธ์ธ ๋ถ๋ด๊ธ ์ํ์ก
์ด $2,100๋ก $100๋ถ ์ธ์๋์๊ณ , ๊ณต์ ์ก(deductible)๋ $590์์ $615
๋ก ์ฆ๊ฐํ๊ฒ ๋๋ค.
2026๋
๋ฉ๋์ผ์ด ํํธ B ๋ณดํ๋ฃ๋ $206.50, ๊ณต์ ์ก์ $288.00์ผ๋ก ์ธ
์๋ ์ ๋ง์ด๋ค.
ํํธ B ๋ณดํ๋ฃ๊ฐ ๋ถ๋ด์ด ๋๋ค๋ฉด, ๋ฆฌ๋ฒ ์ดํธ๋ฅผ ์ ๊ณตํ๋ ๋ณดํ ํ๋(2026
๋
์ต๋ $185๋ถ ๋ฆฌ๋ฒ ์ดํธ)์ ์ฐพ์๋ณด๋ ๊ฒ์ด ์ข๋ค.
์น๊ณผ, ์๊ฒฝ, ๋ณด์ฒญ๊ธฐ์ ๊ฐ์ ์ถ๊ฐ ํํ์ด ์ถ์๋ ์ ์์ผ๋ฉฐ, PPO ํ๋์ด
์ค์ด๋ ๋ค.
ํ์ฌ ๋ณต์ฉ ์ค์ธ ์ฝ์ด ํ๋์ ์ฝํ ๋ชฉ๋ก(Formulary)์ ํฌํจ๋๋์ง, ๊ทธ๋ฆฌ ๊ณ ์ฃผ์น์๊ฐ ๋คํธ์ํฌ์ ์ํด ์๋์ง ๋ฐ๋์ ํ์ธํด์ผ ํ๋ค. ์ด๋ฒ์ ํ ์ธ์ด ์ฃผ๋ก ์ด์ฉํ๋ ๋ฉ๋์นผ ๊ทธ๋ฃน์ ๋๋ ์ด์ฉํ์ง ๋ชปํ๋ ๋ณดํ์ฌ๋ ์ ๋ค.
<์ค๋ฐ๋ง์ผ์ด: ๋ณด์กฐ๊ธ ๋ง๋ฃ์ ๋ณดํ๋ฃ ์ธ์ ํญํ์ ๋๋นํ๋ผ> 2026๋
๋ถํฐ ์ธํ๋ ์ด์
๊ฐ์ถ๋ฒ(IRA)์ ๋ฐ๋ผ ํ๋๋์๋ ๊ฐํ๋ ๋ณด์กฐ๊ธ (Enhanced Premium Tax Credits)์ด ๋ง๋ฃ๋ ์์ ์ด์ด์ ๊ฐ์
์์ ๋ณดํ
๋ฃ๊ฐ ํฌ๊ฒ ์ค๋ฅผ ์ ์๋ค. 2026๋
์ค๋ฐ๋ง์ผ์ด์ ๋ณดํ๋ฃ๋ ์บ๋ฆฌํฌ๋์์ ๊ฒฝ์ฐ 10.3% ์ธ์๋ ๊ฒ์ผ ๋ก ๋ํ๋ฌ๋ค. ํนํ ์ฐ๋ฐฉ ๋น๊ณค์ (FPL)์ 400%๋ฅผ ์ด๊ณผํ๋ ์๋ ๊ฐ๊ตฌ๋ ๋ณด์กฐ๊ธ์ ์ ํ ๋ฐ์ง ๋ชปํด ๋ณดํ๋ฃ๊ฐ ๋ ๋ฐฐ ์ด์ ์ค๋ฅผ ์ ์๋ค. ํ๋์ ์
์ด์๋ AetnaCVSHealth๋ ๋ ์ด์ ์ ๊ณต๋์ง ์๋๋ค.
๋ํ ์ ์๋์ธต์๊ฒ ์ฐ์ค ๋ด๋ด ์ ๊ณต๋๋ ํน๋ณ ๊ฐ์
๊ธฐ๊ฐ(SEP)์ด ์ข
๋ฃ๋
๋ฉฐ ๊ฐ์
์ ์ฐจ๊ฐ ๊น๋ค๋กญ๊ฒ ๋๋ค. ์ด๋ฒ์๋ ์๋ ๊ฐฑ์ ์ด ์๋ ์๋ ๊ฐฑ์ ์
ํตํด ๊ฐฑ์ ๊ณผ์ ์์ ์๋, ์ ๋ถ, ์ฃผ์ ๋ฑ ์ฃผ์ ์ ๋ณด๋ฅผ ๋ค์ ํ์ธํ์ฌ ๋ถ ํ์ํ ๋น์ฉ์ ๋ง์์ผ ํ๋ค.
<Health Care Sharing Ministry, ์๋ฃ๋น ๋๋ ์ฌ์ญ: ๋
๋ค๋ฅธ ๋์์ผ๋ก ๊ณ ๋ คํ๋ผ>
์ปค๋ฒ๋ ์บ๋ฆฌํฌ๋์ ์์ฒด ์ถ์ฐ์ ์ํ๋ฉด ์ฐ๋ฐฉ ๋ณด์กฐ๊ธ ์์ค๋ก ์ธํด ์ต๋
60์ฌ๋ง ๋ช
์ด ๋ณดํ์ ์์คํ ์ ์๋ค๋ ์ ๋ง์ด๋ค.
๊ฑด๊ฐ ๋ณดํ๋ฃ๊ฐ ๋ถ๋ด์ค๋ฝ๊ธฐ ๋๋ฌธ์ด๋ค. ์ด๋ฐ ๊ฒฝ์ฐ ๊ฑด๊ฐ๋ณดํ์ ์๋์ง๋ง,
์๋ฃ๋น๋ฅผ ์๋ก ๋๋ '์ฌ์ญ(Ministry)'์ด ๋์์ด ๋ ์ ์๋ค.
๋ณ์์ ์์ฃผ ๊ฐ์ง ์๋ ๊ฒฝ์ฐ ์๋นํ ๋ณดํ๋ฃ๋ฅผ ์ ์ฝํ ์ ์๋ค. ์๋ฃ๋น
๋๋ ์ฌ์ญ์ ํ๋ Crossway ์๋ฃ์์กฐํ๋ ๋น์๋ฆฌ ๊ธฐ๊ด์ผ๋ก ๊ฐ์
๋ฉค๋ฒ
๋ ๊ฑด๊ฐ ๋ณดํ ๋ฏธ๊ฐ์
๋ฒ๊ธ์ ๋ฉด์ ๋ฐ๋๋ค.
์ฅ์ ์ผ๋ก๋ ์ ๋ถ, ์๋๊ณผ ๊ด๊ณ์๊ณ ์ผ๋ฐ์ ์ธ ๊ฑด๊ฐ ๋ณดํ๋ฃ๋ณด๋ค ์ ๋ ดํ
์ ์๋ค.
ํ์ฌ 4๊ฐ์ง ํ๋์ด ์๋ค. ๊ทธ๋ฌ๋ ์ค๋ฐ๋ง์ผ์ด์๋ ๋ฌ๋ฆฌ ๋ณดํ์ด ์๋๊ณ
๊ธฐ์กด ์ง๋ณ์ด๋ ํน์ ์์ ์ ๋ํ ์ ํ์ด ์์ผ๋ฉฐ ๊ฐ์
์๊ฒฉ ๊ธฐ์ค์ด ์๋ค.
<์บ๋ฆฌํฌ๋์์ ๋ฉ๋์บ(Medi-Cal):
๊ฐํ๋ ์๊ฒฉ ์๊ฑด์ ์ค๋นํ๋ผ, ๋จ ๋ณ๋ ๊ฐ๋ฅ์ฑ์ ์๋ค>
2026๋
๋ค์ ์์ฐ ๊ธฐ์ค์ด ๋์
๋๋ค.
๊ฐ์ธ์ $130,000, ๋ถ๋ถ๋ $195,000, 1์ธ ์ฆ๊ฐํ ๋ $65,000. 19์ธ ์ด์
๋น ์๊ฒฉ ์ด๋ฏผ์์ ์ ๊ท ๋ฑ๋ก์ด ๋๊ฒฐ๋๋ค. ๋จ 18์ธ ์ดํ์ ์์ฐ๋ถ๋ ๊ฐ๋ฅ ํ๋ค.
2027๋
๋ถํฐ 19-59์ธ ๋น์๊ฒฉ ์ด๋ฏผ์๋ ์ 35๋ถ ๋ณดํ๋ฃ๋ฅผ ๋ถ๋ดํด์ผ ํ
๋ค. 2027๋
๋ถํฐ 19~64์ธ ์ฑ์ธ์ ๋งค์ ์ต์ 80์๊ฐ์ ๊ทผ๋ก ๋๋ ๋ด์ฌํ
๋์ ์ฆ๋ช
ํด์ผ ํ๋ค.
์ฅ์ ์ธ๊ณผ 14์ธ ์ดํ ์๋
๋ถ๋ชจ๋ ์์ธ์ด๋ค. ๊ธฐ์กด ์ฐ 1ํ์๋ ์๊ฒฉ ์ฌ๊ฒ
์ฆ์ ์ฐ 2ํ๋ก ๊ฐํ๋๋ค.
2028๋
๋ถํฐ๋ ์ฅ๊ธฐ์์ ๋ฉ๋์นผ์ ๊ฒฝ์ฐ ์ฃผํ์์ฐ ์ํ์ ๋ฐฑ๋ง๋ถ์ด ๋์
๋๋ฉฐ 2028๋
10์๋ถํฐ ์ฐ๋ฐฉ ๋น๊ณค์ 100%๋ฅผ ๋๋ ์ฑ์ธ์ ์๋น์ค๋น 35
๋ถ์ ๋ณธ์ธ์ด ๋ถ๋ดํด์ผ ํ๋ค(์์ธ ์กฐํญ ์์).
๋ฃจ๋น์คํจ์ผ์ด -๊ฐ์์ฒ ์ ํ์ํ
์คํจ์ผ์ด์ ๋ถ๋ถ ๋ชธ๋งค๊ด๋ฆฌ ํ๋ก๊ทธ๋จ
๋ฐ๋๋ ๊ฐ์์ ํผ๋ถ์ ๋ชธ๋งค ๊ด
๋ฆฌ๊ฐ ํจ๊ป ํ์ํ ์๊ธฐ๋ค. ์ฌ๋ฆ ๋ด๋ด ์
์ธ์ ๊ณผ ๋์์ ์ง์น ํผ๋ถ๋ ์๊ธฐ๋ฅผ ์ ๊ธฐ ์ฝ๊ณ , ํ๋๋์ด ์ค์ด๋๋ ํ์ ๊ธฐ์ ๋ ๋ชธ๋งค ๋ผ์ธ๊น์ง ๋ฌด๋์ง ์ ์๋ค. ํผ๋ถ ์ ๋ชธ๋งค๋ฅผ ํจ๊ป ๊ด๋ฆฌํ๋ ๊ฒ์ ๋ ์ด์ ์ ํ์ด ์๋ ํ์๋ค. ๋
ธ์ค๋ฆฌ์ง์
์์นํ โ๋ฃจ๋น์คํจ์ผ์ด(My Ruby Skincare)โ๋ ์ต์ ๊ธฐ๊ธฐ์ ์ฌ์ธํ ํธ
๋ ํ
ํฌ๋์ ์ด์ฉํ ์คํจ์ผ์ด์ ๋ฐ๋๋ฅผ ์ผ์ดํ๋ ์ ๋ฌธ ํด๋ฆฌ๋์ผ๋ก, ๊ณ
๊ฐ ๋ง์ถคํ ๊ด๋ฆฌ ํ๋ก๊ทธ๋จ์ ํตํด ๊ฑด๊ฐํ๊ณ ์๋ฆ๋ค์ด ๋ณํ๋ฅผ ์ ์ฌํ๊ณ ์๋ค. ๋ฃจ๋น์คํจ์ผ์ด์ ๋ถ๋ถ ๋ชธ๋งค๊ด๋ฆฌ ํ๋ก๊ทธ๋จ์ ํนํ ๋ฑ๊ณผ ๋ณต๋ถ์ ์ง ์คํด ๋ง์ ๊ณ ๊ฐ๋ค์ ํธ์์ ์ป๊ณ ์๋๋ฐ, ๋ฑ๊ด๋ฆฌ๋ ๋ญ์น ๊ทผ์ก์ ํ์ด์ฃผ ๊ณ ํผ๋ถ ๋
ธํ๋ฌผ์ ์ ๊ฑฐํ์ฌ ๋งค๋ํ๊ณ ํ๋ ฅ ์๋ ๋ท ๋ผ์ธ์ ๋ง๋ค์ด ์ค๋ฟ ์๋๋ผ ํ์ก์ํ ๊ฐ์ ๊ณผ ํผ๋ก ์ํ์๋ ํจ๊ณผ์ ์ด๋ค. ๊ทธ๋ฆฌ๊ณ ๋ณต๋ถ๊ด๋ฆฌ
๋ ๋จ์ํ ์ง๋ฐฉ์ธต ๊ด๋ฆฌ๋ฟ ์๋๋ผ ์ํ์ ์ด์งํด ๋ฑ์ด ๊ณ ๋ฏผ์ ๋์ด์ฃผ๋ฉฐ, ํ๋ ฅ ์๋ ๋ณต๋ถ ๋ผ์ธ์ ํ๋ณตํ๋๋ก ๋๋๋ค. ๊ฐ์์ฒ ๋๊บผ์ด ์ท ์์์ ๊ด
๋ฆฌ๊ฐ ์ํํด์ง๊ธฐ ์ฌ์ด ๋ถ์์ด์ง๋ง, ๊พธ์คํ ๊ด๋ฆฌ๋ฅผ ํตํด ์ฒดํ ๋ผ์ธ์ ์ ๋ํด๋๋ฉด ๊ฒจ์ธ์ฒ ์ ๋ฌผ๋ก ๋ด๋
๋ด๊ณผ ์ฌ๋ฆ์๋ ์์ ์๋ ๋ชธ๋งค๋ฅผ ์ ์งํ ์ ์๋ค. ๋ํ ๋ฃจ๋น์คํจ์ผ์ด๋ ๋ถ๋ถ ๋ฐ๋ ๊ด๋ฆฌ๋ฟ ์๋๋ผ, ๋ฌผ๊ด ํผ๋ถ ๊ด ๋ฆฌ, ๋ฆฌํํ
ยท์ฃผ๋ฆ ๊ด๋ฆฌ, ํน์ํผ๋ถ ์ฌ์ ๊ด๋ฆฌ, ์ฌ๋๋ฆ ์คํ์
์ผ์ด (Acne Care) ๋ฑ ํผ๋ถ ๋ณธ์ฐ์ ๊ฑด๊ฐ์ ํ๋ณต์ํค๋ ๋ค์ํ ํ๋ก๊ทธ๋จ๋ ์ด์ํ๊ณ , ํนํ ์ต์ ์ฅ๋น๋ฅผ ํ์ฉํด ๋น ๋ฅด๊ณ ๋์ ๋๋ ํจ๊ณผ๋ฅผ ๊ฒฝํํ ์ ์๋ค.
๊ฐ์์ฒ ๋ชธ๋งคยทํผ๋ถ ๊ด๋ฆฌ TIP
๋ณด์ตยท์ฌ์ ์ง์ค : ๊ฑด์กฐํด์ง๋ ๊ฐ์์ ํผ๋ถ์ ์๋ถ๊ณผ ์์์ ์ง์ค ๊ณต๊ธ
ํด์ผ ํ๋ค.
์ํ ๊ด๋ฆฌ : ํ์ ๊ธฐ์ ํ์ก์ํ๊ณผ ์ ์ง๋์ฌ๊ฐ ๋จ์ด์ง๊ธฐ ์ฝ๊ธฐ ๋๋ฌธ์
๋ฑยท๋ณต๋ถ ๊ด๋ฆฌ๋ก ์ํ์ ์ด์งํ๋ ๊ฒ์ด ์ข๋ค.
๊พธ์คํ ์ผ์ด : ๋จ๊ธฐ๊ฐ์ ๊ด๋ฆฌ๋ณด๋ค ์ ๊ธฐ์ ์ธ ๊ด๋ฆฌ๊ฐ ๊ฑด๊ฐํ ํผ๋ถ์ ํ๋ ฅ
์๋ ๋ฐ๋๋ฅผ ๋ง๋ ๋ค.
์์ฝ/๋ฌธ์: 818-360-0050 | Cell. 213-703-5878
๋
ธ๋๋ฅผ ์ฌ๋ํ๋ ์ด๋ค์ ์ํ ํน๋ณํ ๊ณต๊ฐ, ์ฌ๋ผ ํ๋ง ๋
ธ๋๊ต์ค์ด ์์
์ผ๋ฐ๊ณผ ํ์์ผ๋ฐ์ ์๋กญ๊ฒ ๋ชจ์งํ๊ณ ์๋ค. ์ด๊ณณ์ ๋จ์ํ ๋
ธ๋๋ฅผ ๋ฐฐ์ฐ
๋ ์ฅ์๊ฐ ์๋๋ผ, ํจ๊ป ์ฆ๊ธฐ๊ณ ํ๋งํ๋ฉฐ ์ถ์ ํ๋ ฅ์ ๋๋ ์ ์๋ ์ด
๋ฆฐ ๋ฌด๋์ ๊ฐ์ ๊ณณ์ด๋ค.
๋
ธ๋์ง๋์ ์ฌ๋ผ ๊น ์จ๋ โ๋
ธ๋๋ฅผ ์ข์ํ๋ ์ฌ๋๋ค์ด ๋ชจ์ฌ ํจ๊ป ๋ฐฐ์ฐ ๊ณ ๋ถ๋ฅด๋ ๊ณผ์ ์์์ ์ถ์ ํ๋ ฅ์ด ์๊ธด๋คโ๋ฉฐ โ์์ฆ ๋์ธ์ธ ํธ๋กํธ
์ ๋ฐ๋ผ๋๋ฅผ ์ค์ฌ์ผ๋ก, ๋๊ตฌ๋ ์ฝ๊ฒ ๋ฐฐ์ฐ๊ณ ์ฆ๊ธธ ์ ์๋๋ก ๊ฐ๋ฅด์น๊ณ ์
๋คโ๊ณ ์ ํ๋ค.
์์
์ ์ค์ ๋ฐ(10์ 30๋ถ~12์)๊ณผ ์คํ๋ฐ(2์~4์)์ผ๋ก ๋๋์ด ์งํ
๋๋ฉฐ, ์ด๋ณด์๋ถํฐ ๋
ธ๋๋ฅผ ์ค๋ ์ฆ๊ฒจ์จ ์ฌ๋๋ค๊น์ง ๋๊ตฌ๋ ์ฐธ์ฌํ ์ ์
๋ค. ๋ฐฐ์ฐ๋ ์ฆ๊ฑฐ์๋ฟ ์๋๋ผ ๋ฌด๋ ๊ฒฝํ์ ํตํด ์ฑ์ทจ๊ฐ๊น์ง ์ป์ ์ ์๋
๊ฒ์ด ์ฌ๋ผ ํ๋ง ๋
ธ๋๊ต์ค๋ง์ ๋งค๋ ฅ์ด๋ค.
๋
ธ๋๊ต์ค์ ๋
ธ์ค๋ฆฌ์ง์ ์์นํด ์์ผ๋ฉฐ, ๋์ ์ฃผ์ฐจ ๊ณต๊ฐ๊ณผ ํธ๋ฆฌํ ์ ๊ทผ
์ฑ ๋๋ถ์ ์ง์ญ ์ฃผ๋ฏผ๋ค์๊ฒ ์ข์ ํธ์์ ์ป๊ณ ์๋ค.
๋ฌธ์ ๋ฐ ๋ฑ๋ก: (213) 216-0006, (818) 307-6595, (818) 263-4991
8700 Reseda Blvd. #103-A, Northridge, CA 91324
(Reseda Blvd. & Gresham St., ๋ฐธ๋ฆฌ๋
ธ์ธํ ๊ฑด๋ํธ 2์ธต ๊ฑด๋ฌผ / ์
๊ตฌ๋ ๊ฑด
๋ฌผ ๋ทํธ์ ์์น)
๋ชฉ์ํ๊ต
๋ชฉ์์ผ ์์นจ ์น ์ญ์ฌ ๋ช
์ ์๋์ด
๋ถ๋ค์ด ํ๋ณตํ ๋ฏธ์๋ฅผ ๋ ๋ฉฐ ์ค์ง
์ด ์น๊ต์ค๋ก ๋ค์ด์ค์
์ ์ด์ผ๊ธฐ
๊ฝ์ ํผ์ฐ๋ฉฐ ์ผ์ฃผ์ผ ๋์์ ์๋ถ ๋ฅผ ์๋ก ๋ฌป๋๋ค.
9์30๋ถ์ ์์ํ๋ ๊ต์ ๊ณผ๋ชฉ
์๊ฐ์ ์๋์ด ๊ฑด๊ฐ, ์น์๊ฑด๊ฐ, ๋ฌ๋ผ์ง๋ ์๋์ด ์ธ๋ฒ, ์๋์ด ๋ฒ์ฃ ์
๋ฐฉ, ๋ฉ๋์ผ์ด ๊ฐ์, ๋
ธ์ธ ์ด์ ์ ์์ ์์น, ์๋์ด ์คํธ๋ ์นญ ๋ฑ์ ๊ต์
๊ฐ์ข๋ฅผ ํตํด์ ์๋์ด๋ค์ด ์์์ผ ๋๋ ์ฌ๋ฌ ๊ฐ์ง ์ ์ตํ ์ ๋ณด๋ฅผ ๋ฐฐ์ด๋ค.
์ ์ฌ์๊ฐ์ด ๋๋ฉด ์ ์ฑ์ ๋คํด ์ค๋นํ ์ฌ์ฑ๊ตํ ํ์๋ค์ ์ ๊ฐํ๊ณ ๋ง
์๋ ์์ฌ๊ฐ ์ค๋น ๋๋ค. ๋ํ ์
์์์ ๊ฐ์ํ์๋ ์ ์๋๊ป์ ์๋์ด
๋ฅผ ์ํ ์ฌ๋ฅ๊ธฐ๋ถ๋ก ๊ฐ๋ฅด์น๋ ๋ฏธ์ ๋ฐ, ์ด์ญ์ฌ ๋ช
์ด ํจ๊ปํ๋ ์์ํฐ ํด
๋์ค์ ํฉ์ฃผ๋ ์ค์ผ์คํธ๋ผ๋ฅผ ๋ฐฉ๋ถ์ผ ํ๋ค. ๊ฐ๊ณก, ์ฐฌ์ก๊ฐ, ๊ฐ์ ๋ฑ์ ์
์ค ๋๊ฒ ์ฐ์ฃผํ๋ ๋ชจ์ต์ ๋ณด๋ ์ํ๊ณต์ฐ์ ํ์
๋ ์ข์ ๋ฏ์ถ๋ค.
๋จ๊ฒ ๊ต์ค์์๋ ๋ชจ์, ์, ๊ฐ๋ฐฉ ๋ฑ์ ๋จ๋ฉด์ ์ ๊ฐ๊ธฐ ์์จ๋ฅผ ๋ฝ๋ธ๋ค.
ํ๊ตฌ๊ณต์ด ๋
์ ๋จ์ด์ง ์ฌ์ด๊ฐ ์๋ ์ค๋ ฅ ์ข์ ์ค๋ ฅํ ํ๊ตฌ ๋ฐ ๋จ์๋ค๊ณผ
๋ ๋ค๋ฅธ ๋ฐฉ์์ ์ด๋ณด ํ๊ตฌ๋ฐ ํ์์ ๋๋ฑ๊ฑฐ๋ฆฌ๋ ๊ณต ์๋ฆฌ๊ฐ ์ ๊ฒน๋ค.
์๋์ด๋ค์ ์ํ ์คํธ๋ ์นญ ํด๋์ค๋ ์์ ๋ค์ด๋ณด์ง๋ ๋ชปํ โ์ฒ์ถ๊ธฐ๋ฆฝ
๊ทผ, โ์น๋ชจ๊ทผโ์ ๊ฐ๋ฅด์น๋ฉฐ ๊ทผ์ก
์ด๋์ ์๋์ด๋ค์ด ๊ฐ๊ณผํ๊ธฐ ์ฌ ์ด ๊ทผ์ก์ด๋์ ์๊ฐํ๋ค. ์๋์ด ํ๊ถ๋ ๋ณต์ฑ ํด๋์ค๋ ์ธ์๋ ๊ณผ
๋ชฉ์ค์ ํ๋๋ค. ์ด์ ํ๊ธฐ์์๋ ์๋์ด ํ๊ถ๋ ๋ฐ์ ์ด์ํ ํ, ๋ธ
๋ ๋ฒจํธ๋ฅผ ๋ฐ์ ๋ถ๋ ๋ ๋ถ์ด๋ ์์๋ค. ์ฆ๊ฑฐ์ด ๋ผ์ธ ๋์ค๋ฐ์ ์ฒญ์ผ์
๋จ์๋ถ์ด ๊ณ์
์ ์ธ๊ธฐ ๋ง์ ์ธ๋ฐ ์ ๋ง ๋ ๋ ตํ๊ฒ ์ถ์๋ ๋์ค๋ฅผ ๋ฐ๋ผ๋ณด
๋ฉฐ ์์ฏ์ ์ ์คํญ์ ์ข ๋ฐ์ ๋ณด์
จ๋? ํ๋ ์์์ ํด ๋ณธ๋ค.
๋ง์ ๊ธฐ๋ฅ์ด ์๋ ์ค๋งํธ ํฐ์ ๊ธฐ๋ฅ ์ค 25%๋ง ์ฌ์ฉํ๋ค๋ ์๋์ด๋ฅผ ์ ํ ์ค๋งํธํฐ ๊ต์ค์ ์ด๊ธฐ๊ฐ ๋จ๊ฒ๋ค. ์ง๋ ํ๊ธฐ๋ฅผ ์ด์ํ์ ์ด๋ฅด์ ๊ป์
์์ ์๋
๋ค์๊ฒ ์ฌ์ง๋ ๋ณด๋ด๊ฒ ๋์๋ค๊ณ ์๋ํ์๋ ์ด๋ฅด์ ๋ ๊ณ์
จ
๋ค. ์กฐ์ฉํ ๋ฐ๋์ ๋์๋ ์ ์ ๋
ธ๋ฆ? ๊ต์ค๋ ์๋ค.
100์ธ ์๋๋ฅผ ์ํ ๊ฑด๊ฐํ ์๋์ด ๋ผ์ดํ, ํ๋ณตํ ์๋์ด ๋ผ์ดํ๋ฅผ ์ ํ ์์๋ํ๊ตํ(๊ตฌ ๋ฐธ๋ฆฌ ์ฐํฉ๊ฐ๋ฆฌ๊ตํ)์ ๋ชฉ์ํ๊ต๋ 10408 Balboa
Blvd. Granada Hills, CA 91344 ์ ์์นํ๊ณ ์๋ค. ์๋์ด๊ฐ ์๋๋ผ๋
๋ฑ๋กํ ์ ์๊ณ , 10์ฃผ ๊ณผ์ ์ ๋ฑ๋ก๊ธ์ $60์ด๋ค.
๋ฌธ์: ๊ตํ ์ฌ๋ฌด์ค (818) 366-0089 , Angela Chang (323) 707-4242
12์์ ์ฅ์ : ํ๋ช
ํ ๊ฐ์ ์ด ๊ฒจ์ธ๋ฐฉํ์
์ํ ์ค๋น๋ฅผ ์์ํ๋ ์ด์
์ง๋์ฃผ, ๋ ๋ถ์ ํ๋ถ๋ชจ๊ป์ ๊ฐ์ ๋ ์ ์๊ฒ ์ ํ๋ฅผ
์ฃผ์
จ์ต๋๋ค. ์ฒซ ๋ฒ์งธ ๋ถ์ "๋ธ์์ด๊ฐ 11ํ๋
์ธ๋ฐ, ๊ฒจ
์ธ๋ฐฉํ ๋์ SAT ์ค๋น๋ฅผ ์์ํด์ผ ํ ๊น์?"๋ผ๊ณ ๋ฌผ
์ผ์
จ๊ณ , ๋ ๋ฒ์งธ ๋ถ์ "์๋ค์ด 3์์ SAT ์ํ์ ์น๋ฅด
๋๋ฐ, 10์ฃผ ์์ 200์ ํฅ์์ ๋์์ค ์ ์์๊น์?"
๋ผ๊ณ ๋ฌผ์ผ์
จ์ต๋๋ค. ๋ ๊ฐ์ ์ ์ฐจ์ด๋ ์ํ ์ ์๋ฟ๋ง ์๋๋ผ ๋ํ ์งํ ๊ฐ๋ฅ
์ฑ์๋ ์ํฅ์ ๋ฏธ์นฉ๋๋ค. ์ฅ์คํผ๋ ์๋์ผ์ด์
์์ 25๋
์ ์ผํ๋ฉด์ ์ ๋
์ํ ์ค๋น ์๊ธฐ๊ฐ ์์
์ ์ง๋งํผ์ด๋ ์ค์ํ๋ค๋ ๊ฒ์ ๊นจ๋ฌ์์ต๋๋ค.
์ค๋์ 12์์ด ์ํ ์ค๋น๋ฅผ ์์ํ๊ธฐ์ ์ ๋ต์ ์ผ๋ก ์ข์ ์๊ธฐ์ธ ์ด์ ์ (๋
๋ถ๋ถ์ ๊ฐ์ ์ฒ๋ผ) 6์๊น์ง ๋ฏธ๋ฃจ๋ ๊ฒ์ด ์๋
์ ์ง๋ก์ ์คํ๋ ค ํด๊ฐ ๋๋ ์ด
์ ๋ฅผ ์๋ ค๋๋ฆฌ๊ฒ ์ต๋๋ค.
์ํ ์ฑ๊ณต์ ์จ๊ฒจ์ง ์ฌ๋ฆฌ
๋๋ถ๋ถ์ ๋ถ๋ชจ๋ค์ด ์๊ฐํ๋ ๊ฒ: "์ํ ์ค๋น๋ 3๊ฐ์์ด๋ฉด ์ถฉ๋ถํ๋ค."
์ฑ๊ณตํ๋ ๊ฐ์ ์ด ์๋ ๊ฒ: ๋๋ ์ํ ํจํด์ ๋ํ ์๋์ ์ธ ๋ฐ์์ ํ์ฑํ๋
๋ฐ ์๊ฐ์ด ํ์ํ๋ค.
ํ์๋ค์ด 12์์ ์์ํ๋ ๊ฒฝ์ฐ์ 6์์ ์์ํ๋ ๊ฒฝ์ฐ์ ์ฐจ์ด์ ์ ๋ค์๊ณผ
๊ฐ์ต๋๋ค.
12์์ ์์ํ๋ ํ์ :
u ๊ฒจ์ธ ๋ฐฉํ ๊ธฐ๊ฐ์ ํ์ฉํ์ฌ ํํํ ๊ธฐ์ด๋ฅผ ๋ค์ง๋ค.
u 12ํ๋
์
ํ์์ ์ง์ ์ 4~6๊ฐ์ ๋์ ๊พธ์คํ ์ฐ์ตํ๋ค.
u 11ํ๋
๋์ ์ฌ๋ฌ ๋ฒ ์ํ์ ๋ณผ ์ ์๋ค.
u 12ํ๋
์ด ์์๋๊ธฐ ์ ์ ์ํ ์ค๋น๋ฅผ ์๋ฃํ๋ค.
6์์ ์์ํ๋ ํ์ :
u ์ฌ๋ฆ ๋ฐฉํ ์ค๋น๋ฅผ ์์ํ๋ ์์ฒ ๋ช
์ ๋ค๋ฅธ ๊ฐ์กฑ๋ค๊ณผ ๊ฒฝ์ํ๋ค.
u ๊ฐ์ฅ ๋ฐ์ ์
ํ์์ ์ง์ ๊ธฐ๊ฐ์ ์ํ์ ๊ฐ๋
์ ์๋๋ฌ ๊ณต๋ถํ๋ค.
u 12ํ๋
์ ์๋ฐ๊ฐ ์์์ ์ฒ์์ผ๋ก ์ํ์ ์น๋ฅด๋ ๊ฒฝ์ฐ๊ฐ ๋ง๋ค.
u ์ํ ๋ ์ง๊ฐ ๋ฆ์ด ์กฐ๊ธฐ ์
ํ ๊ธฐํ๋ฅผ ๋์น๋ค.
๊ฒฐ๊ณผ๋ ์ด๋ค์ง์? 12์์ ์ค๋นํ๋ ํ์๋ค์ ์ผ๋ฐ์ ์ผ๋ก 6์์ ์ค๋นํ๋ ํ
์๋ค๋ณด๋ค 150~250์ ๋ ๋์ ์ ์๋ฅผ ๋ฐ๊ณ ๋ ๋์ ๋ํ ์ ํ์ง๋ฅผ ์ ๊ณตํฉ๋๋ค.
์ค์ ์ฑ๊ณต ์ฌ๋ก: ์ผ์ฐ ์์ํ๋ ํ
์ผ๋น ํ์์ ์ด์ผ๊ธฐ(12์ ์์): ์ผ๋น์ 11ํ๋
๊ฒจ์ธ ๋ฐฉํ ๋์ ๋ชจ์์ํ์์ 1200์ ์ ๋ฐ์ผ๋ฉฐ SAT ์ค๋น๋ฅผ ์์ํ์ต๋๋ค. ๋ฐฉํ ๋์ ๊ธฐ์ด ์ค๋ ฅ์ ์ง์ค์
์ผ๋ก ํค์ธ ์ ์์์ต๋๋ค. 3์์๋ 1450์ ์, 6์์๋ 1520์ ์ ๊ธฐ๋กํ์ต๋
๋ค. 12์์ ์์ํ๊ธฐ ๋๋ฌธ์ 12ํ๋
์คํธ๋ ์ค๊ฐ ์์๋๊ธฐ ์ ์ ์ํ ์ค๋น๋ฅผ
๋ง์น ์ ์์์ต๋๋ค.
๋ฏธ์
ธ ํ์์ ์ด์ผ๊ธฐ(6์ ์์): ๋ฏธ์
ธ์ ๊ฐ์ ๋ชจ์์ํ์์ 1200์ ์ผ๋ก ์์
ํ์ง๋ง, 12ํ๋
์ด ๋๊ธฐ ์ ์ธ 6์์ ์ค๋น๋ฅผ ์์ํ์ต๋๋ค. ์ด์ฌํ ๋
ธ๋ ฅํ์์
๋ ๋ถ๊ตฌํ๊ณ 12ํ๋
10์๊น์ง 1320์ ์ ๊ทธ์ณค์ต๋๋ค. ์๊ธฐ์ ์ผ๋ก ๋ํ์
ํ
๊ธฐ๊ฐ ๋์ ์ํ ์ค๋น๋ฅผ ํด์ผ ํ๊ณ , ์ ์๊ฐ ๋๋ฌด ๋ฆ๊ฒ ๋์ ์กฐ๊ธฐ ์
ํ ๋ง ๊ฐ์ผ์ ๋์ณค์ต๋๋ค.
๋ ํ์ ๋ชจ๋ ๋๊ฐ์ด ๋๋ํ์ต๋๋ค. ์ฐจ์ด์ ์ ์ ๋ต์ ํ์ด๋ฐ์ด์์ต๋๋ค.
12์์ ์ฅ์ : ๊ฒจ์ธ๋ฐฉํ์ด ์๋ฒฝํ ์๊ธฐ์ธ ์ด์
1. ๋ค์ํ ์ํ ๊ธฐํ 12์์ ์ํ์ ์์ํ๋ฉด ์๋
์๊ฒ ๋ค์๊ณผ ๊ฐ์ ์๊ธฐ์
SAT ๋๋ ACT๋ฅผ ์น๋ฅผ ๊ธฐํ๊ฐ ์ฃผ์ด์ง๋๋ค.
u 3์ (์ฒซ ์๋์์ ์ข์ ์ฑ์ ๊ฑฐ๋๊ธฐ)
u 5/6์ (๋ชฉํ ์ ์ ๋ฌ์ฑ)
u 8์ (ํ์ํ ๊ฒฝ์ฐ ์ต์ข
์๋ - ์กธ์
๋ฐ ์คํธ๋ ์ค ์ )
6์ ์
ํ์์ ์ผ๋ฐ์ ์ผ๋ก ํ๋ ๋ฒ์ ๊ธฐํ๋ง ์ป๊ฒ ๋๋ฉฐ, ์ด๋ ์กธ์
๋ฐ์ ํผ๋์ค
๋ฌ์ด ์๊ธฐ์ ์ข
์ข
๋ฐ์ํฉ๋๋ค.
2. ๊ฒจ์ธ๋ฐฉํ ์ง์ค ๊ธฐ์ด ๊ณผ์ ๊ฒจ์ธ๋ฐฉํ์ ๋์, ๊ธฐํํ, ๋ฌธ๋ฒ ๊ท์น์ ๊ธฐ๋ณธ์ ์ธ
๋นํ์ ๋ฉ์ฐ๋ ๋ฐ 2~3์ฃผ๊ฐ์ ์ง์ค์ ์ธ ์๊ฐ์ ์ ๊ณตํฉ๋๋ค. 6์์ ์์ํ๋ ํ์์ ์ฌ๋ฆ ๋ฐฉํ ํ๋๊ณผ ์๊ฐ์ด ๊ฒน์น๊ธฐ ๋๋ฌธ์ ์ด๋ฌํ ์ง์ค์ ์ธ ๊ธฐ์ด ๊ณผ์ ์ ๋์น๋ ๊ฒฝ์ฐ๊ฐ ๋ง์ต๋๋ค.
3. ๋ถ๋น๋ ์ฌ๋ฆ ๋ฐฉํ ํผํ๊ธฐ ๋๋ถ๋ถ์ ๊ฐ์ ์ 6์์ ์ํ ์ค๋น๋ฅผ ์์ํ๋ฏ๋ก ํํฐ์ ์๋ฃ์ ๋ํ ์์ฅ์ด ํฌํ์ํ์
๋๋ค. 12์ ์
ํ์์ ์ด๋ฌํ ๊ฒฝ์์ ํผํ๊ณ ๊ฐ์ฌ๋ก๋ถํฐ ๋ ๋ง์ ๊ด์ฌ์ ๋ฐ๋ ๊ฒฝ์ฐ๊ฐ ๋ง์ต๋๋ค.
4. 12ํ๋
์ ์ ๋ง๋ฌด๋ฆฌํ๊ธฐ ๊ฐ์ฅ ํฐ ์ฅ์ : ํ์๋ค์ 3ํ๋
๋ง๊น์ง ์ํ ์ค๋น ๋ฅผ ๋ง์น ์ ์์ด, ์กธ์
๋ฐ์ ๋ํ ์ง์, ์์ธ์ด ์์ฑ, ์ฑ์ ๊ด๋ฆฌ์ ์ง์คํ ์ ์ ์ต๋๋ค.
์ ์๋ฅผ ๋จ์ดํธ๋ฆฌ๋ ํํ ์ค์
์ค์ #1 : ๋จ๋ค ๋ฐ๋ผ๊ฐ๊ธฐ ๋๋ถ๋ถ์ ๊ฐ์ ์ "๋ชจ๋๊ฐ 6์์ ํ๋ค."๋ผ๋ ์ด์ ๋ก
์ํ ์ค๋น๋ฅผ 6์์ ์์ํฉ๋๋ค. ํ๋ช
ํ ๊ฐ์ ์ ๋ ๋์ ๊ฐ๋ฅด์นจ์ ๋ฐ๊ณ ํผ์ก
์ ํผํ ์ ์๋ 12์์ ์์ํฉ๋๋ค.
์ค์ #2 : ๊ฒจ์ธ ๋ฐฉํ ๊ฐ์น๋ฅผ ๊ณผ์ํ๊ฐ ๋ง์ ๊ฐ์ ์ด ๊ฒจ์ธ ๋ฐฉํ์ "ํด๊ฐ"๋ก ์ ๊ฐํฉ๋๋ค. ์ ๋ต์ ์ธ ๊ฐ์ ์ ๊ฒจ์ธ ๋ฐฉํ์ ํ์๋ค์ด ํ๊ต์ ๋ฐฉํด ์์ด ์ง์คํ ์ ์๋ ์ง์ค์ ์ธ ์ค๋น ๊ธฐ๊ฐ์ผ๋ก ํ์ฉํฉ๋๋ค.
์ค์ #3 : "11ํ๋
์ดํ"๊น์ง ๊ธฐ๋ค๋ฆฌ๊ธฐ ๋๋ถ๋ถ์ ๊ฐ์ ์ "11ํ๋
์ ๋จผ์ ๋ง
์ณ์ผ ํ๋ค."๊ณ ์๊ฐํฉ๋๋ค. ํ์ง๋ง 12์์ ์์ํ๋ฉด ํ์๋ค์ ์ ๊ท ํ๊ต ์ผ์
์ ์ ์งํ๋ฉด์ 6๊ฐ์ ๋์ ์ค๋นํ ์ ์์ต๋๋ค.
์ค์ #4: ์ฌ๋ฆ ๋ฐฉํ์ด ์ง์ค๋ ฅ ํฅ์์ ๋ ์ข๋ค๊ณ ์๊ฐ ์ฌ๋ฆ์๋ ๊ฐ์กฑ ์ฌํ, ์ฌ
๋ฆ ๋ฐฉํ ์๋ฅด๋ฐ์ดํธ, ๊ณผ์ธ ํ๋์ด ๋ง์ต๋๋ค. ๊ฒจ์ธ ๋ฐฉํ์ ๋์ฑ ์ง์ค๋ ฅ ์๊ณ ๋ฐฉ
ํด ์๋ ์ค๋น ์๊ฐ์ ์ ๊ณตํฉ๋๋ค.
ํฌ์ ๋๋น ํจ๊ณผ
๋ถ๋ชจ๋๋ค์ ์ข
์ข
"์์ด๊ฐ ๋ ๋ง์ ์๊ฐ์ ๊ฐ์ง ์ ์๋ ์ฌ๋ฆ๊น์ง ๊ธฐ๋ค๋ ค์ผ ํ ๊น์?" ๋ผ๊ณ ๋ฌป์ต๋๋ค.
๊ทธ ๋ฐ๋์ ๋ฐฉ๋ฒ์ด ๋ ํจ๊ณผ์ ์
๋๋ค. ๊ฒจ์ธ ๋ฐฉํ์ ์ง์ค๋ ฅ์ ๋์ด๋ ๋ฐ ๋์์ด
๋๊ณ , ๋ด ํ๊ธฐ๋ ์ฌ๋ฆ ๋ฐฉํ ํ๋, ๊ฐ์กฑ ์ฌํ, ์ฌ๋ฆ ์๋ฅด๋ฐ์ดํธ ๋ฑ์ ๋ฐฉํด ์์ด
๊พธ์คํ ์ฐ์ตํ ์ ์๋ ์๊ฐ์ ์ ๊ณตํฉ๋๋ค.
๋ ์ค์ํ ๊ฒ์, 11ํ๋
๋ง๊น์ง ์ํ ์ค๋น๋ฅผ ๋ง์น๋ฉด 12ํ๋
์ ๋ํ ์ง์, ์์ธ
์ด, ์ฅํ๊ธ ๊ธฐํ์ ์จ์ ํ ์ง์คํ ์ ์๋ค๋ ๊ฒ์
๋๋ค. 6์์ ์์ํ๋ ํ์
Education
๋ค์ ๊ณ ๋ฑํ๊ต์์ ๊ฐ์ฅ ์คํธ๋ ์ค๊ฐ ๋ง์ ์๊ธฐ์ ์ํ ์ค๋น๋ฅผ ํ๊ฒ ๋๋ ๊ฒฝ
์ฐ๊ฐ ๋ง์ต๋๋ค. ๊ฐ์ฅ ์ค์ํ ๊ฒ์, 12์์ ์์ํ๋ ํ์๋ค์ ๋ถ๋น๋ ์๊ฐ์
ํผํ ์ ์๋ค๋ ๊ฒ์
๋๋ค. ๋ค๋ฅธ ๊ฐ์กฑ๋ค์ด 6์์ ๊ณผ์ธ ์ ์๋๊ณผ ์ํ ๋ ์ง๋ฅผ
์ฐพ์ ํค๋งค๋ ๋ฐ๋ฉด, ์ ๋ต์ ์ผ๋ก ๊ณต๋ถํ๋ ๊ฐ์กฑ๋ค์ด ์ด๋ฏธ ์ต๊ณ ์ ๊ต์ก๊ณผ ์ต์
์ ์ํ ์ผ์ ์ ํ๋ณดํ์ต๋๋ค.
์ฌ๋ฌ๋ถ๋ค์ด ๋ค์ด์ผ ํ ํฌ๋ง
์๋
๊ฐ ํ์ฌ 11ํ๋
์ด๋ผ๋ฉด ๊ฒจ์ธ ๋ฐฉํ์ ์ํ ์ค๋น๋ฅผ ์์ํ๊ธฐ์ ๊ฐ์ฅ ์ข์
์๊ธฐ์
๋๋ค. ์๋
๊ฐ 10ํ๋
์ด๋ผ๋ฉด, ์ด๋ฒ 12์์ ์์ํ๋ฉด 11ํ๋
์ฌ๋ฆ๊น์ง ๊ธฐ๋ค๋ฆฌ๋ ๋๋ ์์ด๋ค๋ณด๋ค ํจ์ฌ ์ ๋ฆฌํฉ๋๋ค.
๋ค๋ฅธ ๊ฐ์กฑ๋ค์ด ๊ฐ์ ์์์ ์ป๊ธฐ ์ํด ๊ฒฝ์ํ๋ 6์์ ์ํ ์ค๋น๋ฅผ ์์ํ๋
๋ฌด๋ฆฌ๋ฅผ ๋ฐ๋ผ๊ฐ์ง ๋ง์ธ์. ์ ๋ต์ ์ผ๋ก ์์ํ์ธ์. ์ง์ค์ ์ผ๋ก ๊ณต๋ถํ ์ ์
๊ณ ์ข์ ์ฑ์ ์ ๊ฑฐ๋ ์ ์๋ 12์์ ์์ํ์ธ์.
Oxford Education์์๋ ์ ๋ต์ ์ผ๋ก ์์ํ๊ณ ํจ์จ์ ์ผ๋ก ์ค๋นํ์ฌ ์๋ฐฑ ๋ช
์ ํ์๋ค์ด ๋ชฉํ ์ ์๋ฅผ ๋ฌ์ฑํ๋๋ก ๋์์ต๋๋ค. ๊ทํ์ ์๋
๋ ๊ทธ๋ค๊ณผ ํจ
๊ปํ ์ ์์ต๋๋ค. ์๋
์ ์ํ ์ ์ ํฅ์ ์ฌ๋ถ๊ฐ ๋ฌธ์ ๊ฐ ์๋๋๋ค. ์๋
๋ ํ ์ ์์ต๋๋ค. ์ค์ํ ๊ฒ์ ์คํธ๋ ์ค๋ฅผ ์ต์ํํ๋ฉด์ ์๋
์ ์ ์ฌ๋ ฅ์ ๊ทน๋ํ ํ๋ ์๊ธฐ๋ฅผ ์ ํํ ๊ฒ์ธ๊ฐ ์
๋๋ค. ์ด๋ฒ 12์์ ์์ํ์ธ์. 12ํ๋
์ด ๋๋ฉด, ์ฌ๋ฌ๋ถ์ ๊ทธ๋ ๊ฒ ํ ๊ฒ์ ์๋ํ๊ฒ ๋ ๊ฒ์
๋๋ค.
์ค๋ชฐ์๋ ์ ํํฐ์ค์ฟจ, ์ ๋ฌธ๊ฐ์ ํจ๊ปํ๋
๊ทธ๋ผ๋๋ค ํ์ค์ ์์นํ โ์ค๋ชฐ์๋ ์ ํํฐ์ค์ฟจโ์ด ํ๋ถ๋ชจ๋ค์ ์ฃผ๋ชฉ์
๋ฐ๊ณ ์๋๋ฐ, 35๋
์ด์์ ๊ฒฝ๋ ฅ์ ๊ฐ์ง ๊ฐ์ฌ๋ค๊ณผ ๋ฐ์ฌ ๋ฐ ์์ฌ ํ์ ์์ง
์๋ค์ด ํ์๋ค์ ์ฑ์ ํฅ์์ ์ํด ์์ค ๋์ ๊ต์ก์ ์ ๊ณตํ๊ณ ์๋ค.
์ค๋ชฐ์๋ ์ ํํฐ์ค์ฟจ์์๋ ์์ ์ง๋๋ฟ๋ง ์๋๋ผ ์ฌ๋ฆ ํ๊ธฐ ํ๋ก๊ทธ๋จ
๋ฐ ๊ทธ๋ฃน๋ณ ๋ง์ถคํ ์ง๋ ์๋น์ค๋ฅผ ์ ๊ณตํ๊ณ ์๋๋ฐ, ํนํ ์์ธ์ด, ๋จํธ ์
์ค, ์ ๋ฑ ๊ธ์ฐ๊ธฐ ์ง๋๋ฅผ ํฌํจํ ์์ด ๊ณผ๋ชฉ๊ณผ ์๋ฌผ, ๋ฌผ๋ฆฌ ๋ฑ ๊ณผํ ๊ณผ๋ชฉ, ๊ทธ
๋ฆฌ๊ณ ๋์ํ์์ ๋ฏธ์ ๋ถํ์ ์ด๋ฅด๋ ๋ชจ๋ ์์ค์ ์ํ ๊ณผ๋ชฉ์ ์ ๋ฌธ์ ์ผ
๋ก ์ง๋ํ๊ณ ์๊ณ ๋ํ, ๊ณต์ธ ESL ํ๋ก๊ทธ๋จ๊ณผ ๋
ํด ๋ฅ๋ ฅ ํฅ์ ๊ณผ์ ๋ ์ ๊ณตํ์ฌ ํ์๋ค์ ์ ๋ฐ์ ์ธ ํ์
์ญ๋์ ๊ฐํํ๋ ๋ฐ ์ด์ ์ ๋ง์ถ๊ณ ์๋ค.
* ์ค๋ชฐ์๋ ์กธ์
์์ด ์ ํ๋ ๊ธ : - ๋ง์ดํด ์ค๋ฆฌ์ด์ค ๋ก๋ฆฌ 3์ธ -
์ฌ๋ํ๋ ์ค๋ชฐ์๋์๊ฒ, ์ด๊ณณ์์์ ์ ์ฌ์ ์ ๊ธธ๊ณ ๋ ๊ธธ
์๊ณ , ๊ณ ๋๊ณผ ์์์ด ๋ค์์ธ ์ฌ
์ ์ด์๊ณ , ๊ทธ ๋ชจ๋ ๊ฒ์๋ ์ฌ๋ ์ด ๋ด๊ฒจ ์์์ต๋๋ค. 18๊ฐ์ ๋
๋ถํฐ ์ค๋ชฐ์๋์์ ์๋ผ๋ฉด์ ์
๋ ์ค๋ชฐ์๋์ ์์ํ ํจ๊ปํ
์ ๋๊ฐ์ ๊ฐ๊ฒ ๋์์ต๋๋ค. ์ด
๊ณณ ์ ์๋๋ค์ ์ ๊ฐ ์ง๊ธ์ ์ ๊ฐ ๋ ๋ชจ์ต์ ์ง์ผ๋ด ์ฃผ์
จ๊ณ , ์ ๊ฐ ์ฌ๊ท ์น
๊ตฌ๋ค์ ์ ๊ฐ์ฅ ์นํ ์น๊ตฌ๋ค์ด์์ต๋๋ค. ์ด๊ณณ์ ์ ๊ฒ ๊ฐ์น๊ด์ ์ฌ์ด์ฃผ์
๊ณ , ๊ทธ ๊ฐ์น๊ด๋ค์ ์ ์ฑ๊ฒฉ์ ํ์ฑํ์ผ๋ฉฐ, ์ ๋ ๊ฐ๋ฅํ ํ ์ค๋ซ๋์ ์ด ๊ฐ
์น๊ด์ ์งํค๊ณ ์ถ์ต๋๋ค. ์ค๋ชฐ์๋์์ ์น๊ตฌ๋ค๊ณผ ์๊ณ ๋๊ณ , ์ฌ๋ฏธ์๋
ํ๋์ ์ฐธ์ฌํ๊ณ , ์ฌ์ง์ด ๋ชจ๋ ๊ณผ์ ๋ฌผ ์๊ฐ๋ค๋ ์ฆ๊ฑฐ์ด ์๊ฐ์ด ๋์์ต๋
๋ค. ์ด ์ถ์ต๋ค์ ์ ์ด๋ฆฐ ์์ ์ ํต์ฌ ๊ธฐ์ต์ด ๋์๊ธฐ์, ์ ๊ฐ ์ด์์๋ ํ
์์คํ ๊ฐ์งํ๊ณ ๊ธฐ์ตํ ๊ฒ์
๋๋ค. ํ์ง๋ง ๋ถ๋ช
์ด๋ ค์๊ณผ ๊ณ ๋๋ ๊ฒช์์ต ๋๋ค. ์ ์ฌ์ ์์ ์ฌ๋ฌ ๋ฒ ํฌ๊ธฐํ๊ณ ์ถ๊ฑฐ๋ ๊ทธ๋ง๋๊ณ ์ถ์๋ ์ผ๋ค์ ๊ฒช
์์ต๋๋ค. ์ ์๋๋ค์๊ฒ ๊ฑฐ์ง๋ง์ ํ๋ค๊ณ ์ผ๋จ์ ๋ง๊ณ , ์ ๋ ์ฒญ์๋ฅผ ํ ์ง ์์๋ค๊ณ ๋ฒ์ ๋ฐ๊ณ , ๊ฐ์ฅ ์นํ ์น๊ตฌ๋ค์ด ์ค๋ชฐ์๋๋ฅผ ๋ ๋ ๋ค์๋ ๋
์์ค์ง ์๋ ๋ชจ์ต์ ๋ณธ ๊ธฐ์ต๋ค์ธ๋ฐ, ๋น์์๋ ์ด๋ฐ ๊ธฐ์ต๋ค์ ๊ฒช๊ธฐ๊ฐ ๋์ฐ ํ์ง๋ง, ์ง๊ธ ๋์ด์ผ๋ณด๋ฉด ๊ทธ ๊ธฐ์ต๋ค์ด ์ ์ธ๊ฒฉ์ ์ผ๋ง๋ ํ์ฑํ๊ณ ์ค๋๋ ์ ์ ๋ฅผ ๋ง๋ค์ด ์ฃผ์๋์ง ์์ผ
๋ฐฉ๊ณผ ํ ํ์ต ํ๋ก๊ทธ๋จ
์ค๋ชฐ์๋ ์ ํํฐ์ค์ฟจ์ ๋ชจ๋ ๊ต์ค์๋ ์ปดํจํฐ ์์คํ
์ ๊ฐ์ถ๊ณ ํ์๋ค ์๊ฒ ์ต์ ์ ํ์ต ํ๊ฒฝ์ ์ ๊ณตํ๋ฉฐ ๋ค์ํ ๋ฌธํ์ ๋ฐฐ๊ฒฝ์ ๊ฐ์ง ๊ฐ์ฌ์ง๊ณผ ํ์๋ค์ด ํจ๊ป ์ด์ธ๋ฆฌ๋ ๊ณต๊ฐ์ผ๋ก ๊ตฌ์ฑ๋์ด ์๋ค. ํ์๋ค์ ํ๊ต์์ ์ง์ ํฝ์
๋๋ฉฐ, ํ๋ถ๋ชจ์ ์์ฒญ์ ๋ฐ๋ผ ํน๋ณ ํฝ์
์๊ฐ ์กฐ์จ๋ ๊ฐ๋ฅํ๊ณ , ์ ๊ท ํ๊ต ์๊ฐ๋ฟ๋ง ์๋๋ผ ์กฐ๊ธฐ ํ๊ต ํ์๋ค ์ ์ํ ์๋น์ค๋ ์ ๊ณต๋๋๋ฐ ๊ถ๊ธํ ์ ์ด ์๊ฑฐ๋ ์๋ด์ ์ํ์๋ฉด 818.363.3684๋ก ์ ํํ๊ฑฐ๋ 15750 San Fernando Mission Blvd., Granada Hills, CA 91344์ ์์นํ ๊ต์ก ์ผํฐ๋ฅผ ๋ฐฉ๋ฌธํ์ฌ ์์ธํ ์ ๋ณด๋ฅผ ์ป์ ์ ์๋ค.
์ ์๋ ์์ด๊ฐ ๋์์ ๊ฒ๋๋ค. ํ์ง๋ง ์ค๋ชฐ์๋์ ์ฌ๊ธฐ์ ์ป์ ๊ฐ๋ฅด์นจ ์ ์ ์ต์
์ ๊ธฐ์ง๋ก ์๋ชป๋์ง ์๊ณ , ์ ๊ฐ ์ง๊ธ ํ๋ ์ผ์ ๋ํ ์ฑ
์๊ฐ์ ๊ฐ๊ฒ ํด ์ฃผ์์ต๋๋ค. ์ ๋ ์ฌ์ ํ ์กฐ๊ธ ๊ฒ์ผ๋ฅด๊ณ ๋ฏธ๋ฃจ๋ ๋ฒ๋ฆ์ด ์์ง๋ง, ์ค๋ชฐ์๋ ๋๋ถ์ ๋ค๋ฅธ ์ฃผ์ ๋ํ์ ์งํํ์ฌ ์ต๊ณ ์ ๋ชฉํ๋ฅผ ํฅํด ๋์๊ฐ ์ ์์ ๋งํผ ์ ๋ฅํ๊ณ ์ฑ
์๊ฐ ์๋ ์ฌ๋์ด ๋์์ต๋๋ค. ๊ทธ๋์ ์ ์ฌ์ ์ ๋๋์๋ณด๋ฉด, ๊ทธ ์ด๋ค ๊ฒ๋ ๋ฐ๊พธ๊ณ ์ถ์ง ์์ต๋๋ค. ํํ๋ ์๊ณ ๊ฐ์ฌํ ๋ฟ์
๋๋ค. ์ค๋ชฐ์๋์ ์ ์๋๋ค์ ์ ์ ๋ฌธ์ ๋ค์ ๋ฐ์ด๋๊ฒ ํด ์ค ๋ถ๋ค์
๋๋ค. ๊ทธ๋ฆฌ๊ณ ์ ๋ฅผ ํค์์ฃผ์๊ณ ์ง๊ธ์ ์๋ฆฌ๊น์ง ์ด๋์ด ์ฃผ์ ์ค๋ชฐ์๋์ ๋ชจ๋ ๋ถ๋ค๊ป ๊ฐ์ฌํ๊ณ ๋ ๊ฐ์ฌ๋๋ฆฝ๋๋ค. ์ด๋ฆฐ ์์ ๋ถํฐ ์ ๋ฅผ ํค์์ฃผ์๊ณ ์ ์ฑ๊ณต์ ์ง์ผ๋ด ์ฃผ์ ์ ์๋๋ค๊ป ๊ฐ์ฌ๋๋ฆฝ๋๋ค. ํต์ฌ ์ง์ ์ต๋์ ๊ธฐ์ด
๋ฅผ ๊ฐ๋ฅด์ณ ์ฃผ์๊ณ , ๋ชจ๋ ์ ๋ณด๋ฅผ ์๋์์ด ์ฃผ์ ์ ์๋๊ป๋ ๊ฐ์ฌ๋๋ฆฝ๋๋ค.
์ ์๊ฒ ์ต๊ณ ์ ๊ธฐ์ด์ ์์ด ํ์ต์ ๋์์ฃผ์๋ฉด์๋, ์ ๊ฐ ์ด์ผ๊ธฐ ๋๋๊ณ
์์งํ ์ ์๋ ์ฌ๋์ด ๋์ด ์ฃผ์ ์ ์๋๊ป๋ ๊ฐ์ฌ๋๋ฆฝ๋๋ค. ๊ทธ๋ฆฌ๊ณ ์ ๊ฐ
๋ง๋ ์ต๊ณ ์ ์ํ ์ ์๋๊ป๋ ๊ฐ์ฌ๋๋ฆฝ๋๋ค. ๋ฌผ๋ฆฌ ์์
๋ด๋ด ์ ๋ฅผ ์ด๋์ด
์ฃผ์๊ณ , ๊ณ ๋ฑํ๊ต ์กธ์
ํ์๋ ๊ณ์ ๊ณต๋ถํ๋๋ก ๊ฒฉ๋ คํด ์ฃผ์
จ์ต๋๋ค. ์ญ์ฌ
์์
์ ํด์ฃผ์๊ณ , ์ ์ธ๊ฒฉ์ ํ์ฑํ๋๋ก ๋์์ฃผ์๊ณ , ํญ์ ์ฌ๋ฐ๋ฅธ ๊ธธ๋ก
์ธ๋ํด ์ฃผ์๊ณ , ์ญ์ฌ์ ์ง๋ณด๋ฅผ ํฅํด ๋์๊ฐ๋๋ก ์ด๋์ด ์ฃผ์ ์ ์๋๋ค๊ป ๊ฐ์ฌ๋๋ฆฝ๋๋ค. ๊ทธ๋ฆฌ๊ณ ์ ๊ฐ ์ด๊ณณ์์ ๋ณด๋ธ ๋ชจ๋ ์๊ฐ ๋์ ์ ๋ฅผ ๋๋ด์ฃผ์ ๊ณ , ์ ์ถ์ ๋์์ด ๋ ๋ง์ ์ค์ํ ๊ตํ๋ค์ ๊ฐ๋ฅด์ณ ์ฃผ์ ๊ต์ฅ ์ ์๋๊ป ๊ฐ์ฅ ํฐ ๊ฐ์ฌ๋ฅผ ๋๋ฆฝ๋๋ค. ์ ์ฌ์ ์ ์ฌ๊ธฐ์ ๋๋ฌ์ง๋ง, ์ ๊ฐ ์ฌ๊ธฐ์ ์์ ์จ ๊ฐ์น์ ๊ธฐ๋ฐ์ ์์ํ ์ฌ๊ธฐ์ ๋จ์ ๊ฒ์
๋๋ค. ์๋ก์ด ์ฅ์ ์๋ก์ด ๊ตด ๊ณก์ผ๋ก ๊ฐ๋ํ ๊ฒ์ด๊ณ , ๋ชจ๋ ๊ฒ์ด ์์กฐ๋กญ๊ฒ ์งํ๋ ๊ฒ์ด๋ผ๊ณ ๋ณด์ฅํ ์๋ ์์ต๋๋ค. ํ์ง๋ง ์ ๋ฅผ ์์ํด ์ฃผ์๋ ๋ถ๋ค์ด ๊ณ์๋ค๋ ์ฌ์ค์ ๋ํ ์ฌ๋ ์ ๊ฐ์งํ ๊ฒ์ด๊ณ , ๊ทธ๋ค์ ์ค๋ง์ํฌ ์๋ ์์ต๋๋ค.
2016๋
ํ์ฌ๋๋ ๋๋ฆผ๊ตํ์
์ฐฝ๋จ์์ผ๋ก ์ฒซ ๋ฐ์ ๋ด๋์ ๋ณด
์ฒผ๋ ์คํฐ ์ด๋ฆฐ์ด ํฉ์ฐฝ๋จ์ ์ง
๋ 10๋
๊ฐ ์์
์ ํตํด ์ง์ญ
์ฌํ์ ๋ด์ฌํ๋ฉฐ ํน๋ณํ ๋ฐ์
์ทจ๋ฅผ ๋จ๊ฒจ์๋ค.
ํ์ฌ๋๋์ ๋ถ์๋ํ ์ง์ญ์
์ ๊พธ์คํ ์ฑ์ฅํด ์จ ํฉ์ฐฝ๋จ์
์ด์ ๊ทธ ๊ฒฝํ์ ๋ฐํ์ผ๋ก ๋ฐธ๋ฆฌ
์ง์ญ์ ์๋ก์ด ์ง๋ถ๋ฅผ ์ค๋ฆฝํ
๋ฉฐ ํ๋์ ํญ์ ๋ํ๊ฐ๊ณ ์๋ค.
๋ณด์ฒผ๋ ์คํฐ ์ด๋ฆฐ์ด ํฉ์ฐฝ๋จ์
๋จ์ํ ์์
์ ๋ฐฐ์ฐ๋ ๊ณต๊ฐ์
๋์ด, ์ด๋ฆฐ์ด๋ค์ด ํจ๊ป ์๋ฆ๋ค
์ด ํ๋ชจ๋๋ฅผ ๋ง๋ค๊ณ ๊ทธ ์์
์
ํตํด ์ฌ๋์ ๋๋๋ ๊ณต๋์ฒด๋ค.
ํนํ ์ด๋ ค์ด ํ๊ฒฝ ์์ ์๋ ๋
๋ ์ด๋ฆฐ์ด๋ค์ ๋๋ ๋ด์ฌ ํ๋
์ ๊พธ์คํ ์ด์ด์ค๋ฉฐ, ์์
์ ํ
์ ์ฌํ์ ๋๋์ผ๋ก ํ์ฅ์ํค ๊ณ ์๋ค.
ํฉ์ฐฝ๋จ์ ์งํฅ์ ์ ๋ช
ํํ๋ค.
๋
ธ๋ ์ค๋ ฅ์ ์ฐ์ด์ ๋ฐ์ง๊ธฐ๋ณด
๋ค, ๋ฌด๋์ ์๋ ๊ฒฝํ์ ํตํด ์์ ๊ฐ๊ณผ ์ฑ์ทจ๊ฐ์ ์ฌ์ด์ฃผ๋
๊ฒ. ์ค์ ๋ก ๋
ธ๋์ ์์ ์ด ์๋
ํ์๋ค๋ ์ฐ์ต๊ณผ ๊ณต์ฐ์ ๊ฑฐ๋ญ ํ๋ฉฐ ์ฑ์ฅ์ ๊ธฐ์จ์ ๋๋๊ณ ์ ๋ค.
๊ณผ๊ฑฐ์๋ ๋จ์๋ค์ด ๊พธ์คํ ๋ด
์ฌ ํ๋์ ํตํด ๋ํต๋ น ๋ด์ฌ์์ ์์ํ๊ธฐ๋ ํ ์ผ๋ฉฐ, ํ์ฌ๋ ์์
์ ํต
์ด๋ฆฐ์ด ํฉ์ฐฝ ๋จ์ ์ด๋ฒ ๋ฐธ๋ฆฌ ์ง์ญ ์ค ๋ฆฝ์ ๊ณ๊ธฐ๋ก ๋ ๋ง์ ์ด ๋ฆฐ์ด๋ค์๊ฒ ์์
๊ณผ ๋ด์ฌ ์ ๊ธฐํ๋ฅผ ์ ๊ณตํ๊ณ ์ ํ๋ค.
๊ด๊ณ์๋ โํฉ์ฐฝ๋จ์ ๋จ ์ํ ์์
๊ต์ก์ ๋์ด, ์ฌ๋๊ณผ ๋๋์ ์คํํ๋ ์ฅโ์ด๋ผ๋ฉฐ โ๋ฐธ๋ฆฌ ์ง์ญ ํ์๋ค์ด ํจ๊ป ์ฒ์์ ์๋ฆฌ๋ฅผ ๋ง๋ค์ด ๊ฐ๊ธธ ๊ธฐ ๋ํ๋คโ๊ณ ์ ํ๋ค.
์์
์ ํตํด ์ฌ๋๊ณผ ๋๋์ ๊ฐ์น๋ฅผ ์คํํ๋ฉฐ, ์ง์ญ ์ฌํ๋ฅผ ๋์ฑ ํ์๋กญ ๊ฒ ๋ง๋ค๊ณ ์๋ ๋ณด์ฒผ๋ ์คํฐ ํฉ์ฐฝ๋จ์ ํ์ฌ ํ์ฌ๋๋, ๋ฐธ๋ฆฌ, ์ ๋ํ์ ์ง
์ญ์์ ์๋ก์ด ๋จ์๋ค์ ๋ชจ์ง(5์ธ๋ถํฐ 12ํ๋
)ํ๊ณ ์๋๋ฐ, ๋
ธ๋๋ฅผ ์ฌ
๋ํ๊ณ ์์
์ ํตํด ๋ด์ฌ์ ๋๋์ ์ค์ฒํ๊ณ ์ถ์ ์ด๋ฆฐ์ด๋ผ๋ฉด ๋๊ตฌ๋ ์ฐธ์ฌํ ์ ์๋ค.
ํฉ์ฐฝ ๊ฒฝํ์ด ์์ด๋ ๋ฌด๋ฐฉํ๋ฉฐ, ํฉ์ฐฝ๋จ์ ์ฐ์ต๊ณผ ๊ณต์ฐ์ ํตํด ๋ชจ๋ ์ด๋ฆฐ
์ด๋ค์ด ํจ๊ป ์ฑ์ฅํ ์ ์๋๋ก ๋๋๋ค.
์ฐ์ต ์๋ด: ํ์ฌ๋๋ ์ง์ญ: ๋งค์ฃผ ํ ์์ผ ์คํ 2:00~4:00 (Dream Church, Pasadena)
๋ฐธ๋ฆฌ ์ง์ญ: ๋งค์ฃผ ํ ์์ผ ์ค์ 11:30~1:00 (์ฑ์์
ํ์ธ ์ฒ์ฃผ๊ตํ, Winnetka)
์ ๋ํ์ ์ง์ญ: ๋งค์ฃผ ํ์์ผ ์คํ 6:00~7:45 (๋ฏธ๋ผํด ๊ตํ, Anaheim)
๋ฌธ์: 213-479-1614
ํํ์ด์ง: Vocielesti.com, ์ธ์คํ๊ทธ๋จ: @vocielesti2025
2025๋
9์, ํ์ฌ ๋จ๊ฐ์ฃผ ๋ถ๋์ฐ ์์ฅ ์ง๋จ
๋ฐ์ด์ด์ ์
๋ฌ๊ฐ ๋จ์ ํ ํด ๋์ ์ค๋นํด์ผ ํ ๊ฒ
์ฌํด๋ ์ด๋๋ง 9์์ ๋์๋ฝ์ ๋ค๋ค๋์ต๋๋ค. ๋ง์ ๋ถ๋ค์ด โ์ง๊ธ ๋จ๊ฐ
์ฃผ ๋ถ๋์ฐ ์์ฅ์ ๋ฐ์ด์ด์๊ฒ ์ ๋ฆฌํ๊ฐ, ์๋๋ฉด ์ฌ์ ํ ์
๋ฌ์ ์ฃผ๋๊ถ
์ด ๊ฐํ๊ฐ?โ๋ผ๋ ์ง๋ฌธ์ ๋์ง์ญ๋๋ค. ํ ์์ ์์์ ํ๋ฆ์ ์ดํด๋ณด๋ฉด,
์์ฅ์ ์ ์ฐจ ๋ฐ์ด์ด ์ชฝ์ผ๋ก ๊ธฐ์ธ๊ณ ์๋ ๋ชจ์ต์ ๋ณด์ด๊ณ ์์ต๋๋ค.
๋จ๊ฐ์ฃผ ๋ถ๋์ฐ ์์ฅ, ์ง๊ธ์ ์ด๋์ฏค์ผ๊น?
์ง๋ ๋ช ๋
๊ฐ ์
๋ฌ ์ค์ฌ์ ์น์ดํ ๊ฒฝ์ ์์ฅ์ด ์ด์ด์ก์ง๋ง, 2025๋
ํ์ฌ
์ํฉ์ ๋ฌ๋ผ์ก์ต๋๋ค.
๋งค๋ฌผ ์ฌ๊ณ (inventory)๊ฐ ๋์ด๋๊ณ , ๊ฑฐ๋ ์๋(days on market)๊ฐ ๋๋ ค์ง
๊ณ , ๊ฐ๊ฒฉ ์์น๋ฅ ์ ์ด์ ๋งํผ ๊ฐํ๋ฅด์ง ์์ ์ํ์
๋๋ค. ํนํ ์คยท๊ณ ๊ฐ
์ฃผํ์์๋ ๋ฐ์ด์ด๋ค์ด ์ ํํ ์ ์๋ ์ต์
์ด ๋ง์์ก์ต๋๋ค. ๋ค๋ง ์ฌ
์ ํ ์ ๊ฐ ์ฃผํ๊ตฐ์ ๋งค๋ฌผ์ด ๋ถ์กฑํด ๊ฒฝ์์ด ๋จ์ ์๋ ๋ชจ์ต์
๋๋ค. ์ ์ฒด
์ ์ผ๋ก ๋ณด๋ฉด, ์ง๊ธ์ ๊ท ํ ์์ฅ(balanced market)์ ๊ฐ๊น์ง๋ง ๋ฐ์ด์ด๊ฐ
์กฐ๊ธ ๋ ์ฃผ๋๊ถ์ ๊ฐ์ ธ๊ฐ๋ ๊ตญ๋ฉด์ด๋ผ ํ ์ ์์ต๋๋ค.
๋ชจ๊ธฐ์ง ๊ธ๋ฆฌ์ ๋ณํ - ์์ฅ์ ๋ ํ๋์ ํฐ ๋ณ์๊ฐ ์์ต๋๋ค. ๋ฐ๋ก
๋ชจ๊ธฐ์ง ๊ธ๋ฆฌ์
๋๋ค. ํ์ฌ 30๋
๊ณ ์ ๋ชจ๊ธฐ์ง ๊ธ๋ฆฌ๋ ์ฝ 6.2% ์ ํ๋ก ํ
์ฑ๋์ด ์์ต๋๋ค. ์ด๋ ์ง๋ 2~3๋
๊ฐ์ ๊ณ ๊ธ๋ฆฌ ํ๊ฒฝ์ ๋นํ๋ฉด ๋ค์ ์
ํ๋ ์์ค์
๋๋ค. ์ต๊ทผ ์ฐ๋ฐฉ์ค๋น์ ๋๊ฐ ๊ธฐ์ค๊ธ๋ฆฌ๋ฅผ ์ํญ ์ธํํ๋ฉด์,
์์ผ๋ก ๊ธ๋ฆฌ๊ฐ ์ถ๊ฐ๋ก ๋ด๋ ค๊ฐ ์ ์๋ค๋ ๊ธฐ๋๊ฐ๋ ์์ต๋๋ค.
๋ฐ์ด์ด ์
์ฅ์์๋ ๋งค์์๊ธฐ๋ฅผ ๊ฒฐ์ ํ๋ ๋ฐ ์์ด ๊ธ๋ฆฌ ์ถ์ธ๋ฅผ ์์์ฃผ์
ํ ํ์๊ฐ ์์ต๋๋ค. ๋ฐ๋๋ก ์
๋ฌ๋ผ๋ฉด, ๊ธ๋ฆฌ ์ธํ๊ฐ ์ค์ ๋ก ์ด๋ฃจ์ด์ง ๊ฒฝ
์ฐ ๋งค์ ์์๊ฐ ๋ค์ ๋์ด๋ ์ ์์์ ๊ณ ๋ คํด ๋งค๋ ํ์ด๋ฐ์ ์ก์์ผ ํ ๊ฒ ์ต๋๋ค.
๋ฐ์ด์ด๊ฐ ์ค๋นํด์ผ ํ ๊ฒ
๋ฐ์ด์ด๋ค์๊ฒ๋ ์ง๊ธ์ด ์ข์ ๊ธฐํ์ผ ์ ์์ต๋๋ค. ๋์ด๋ ๋งค๋ฌผ ์์์
์ถฉ๋ถํ ๋น๊ตยท๊ฒํ ํ ์ ์๊ณ , ํ์์์ ์ ๋ฆฌํ ์์น๋ฅผ ์ฐจ์งํ ๊ฐ๋ฅ์ฑ ์ด ํฌ๋ฉฐ, ํฅํ ๊ธ๋ฆฌ ์ธํ์ ๋ฐ๋ฅธ ์ถ๊ฐ์ ์ธ ์ด์ ์ ๊ฐ ํํ๋ ๊ธฐ๋ํ ์
์์ต๋๋ค. ๋ค๋ง ์ง์ ๊ณ ๋ฅผ ๋ ๋จ์ํ ๊ฐ๊ฒฉ๋ง ๋ณด์ง ๋ง๊ณ , ์ธ๊ธ, ๋ณดํ, ๊ด๋ฆฌ ๋น ๋ฑ ์ฅ๊ธฐ์ ์ธ ์ฃผ๊ฑฐ๋น์ฉ๊น์ง ๊ผผ๊ผผํ ๋ฐ์ ธ๋ด์ผ ํฉ๋๋ค. ๋ํ ์ฌ์ ๋์ถ ์น์ธ(pre-approval)์ ๋ฏธ๋ฆฌ ๋ฐ์ ๋๋ฉด, ์ํ๋ ์ง์ ๋ฐ๊ฒฌํ์ ๋ ์ ์ํ ๊ฒ ์ ์ํ ์ ์์ด ํ์๋ ฅ์ ๋์ผ ์ ์์ต๋๋ค.
์
๋ฌ๊ฐ ์ค๋นํด์ผ ํ ๊ฒ
์
๋ฌ๋ผ๋ฉด ์ง๊ธ์ ์ ๋ต์ ์ ๊ทผ์ด ํ์ํฉ๋๋ค. ๊ฐ๊ฒฉ์ ์ง๋์น๊ฒ ๋๊ฒ ์ฑ
์ ํ ๊ฒฝ์ฐ ์์ฅ์์ ์ค๋ ๋จธ๋ฌด๋ฅด๋ฉฐ ๊ฒฐ๊ตญ ๊ฐ๊ฒฉ
์ ๋ฎ์ถฐ์ผ ํ๋ ์ํฉ์ด ๋ฐ์ํ ์ ์์ต๋๋ค. ๋ฐ๋ผ์ ์์ฅ์ ๋ง๋ ํ์ค์
์ธ ๊ฐ๊ฒฉ ์ฑ
์ ์ด ๋ฌด์๋ณด๋ค ์ค์ํฉ๋๋ค. ๋ํ ์ง์ ๋งค๋ ฅ์ ์ผ๋ก ๋ณด์ฌ์ค ์
์๋ ์๋ฆฌยท์
๊ทธ๋ ์ด๋, ์คํ
์ด์ง, ๋ง์ผํ
์ ๋ต์ด ๊ฒฝ์ ๋งค๋ฌผ ์์์ ๋
๋ณด์ด๊ฒ ํ๋ ํต์ฌ์ด ๋ฉ๋๋ค. ์
๋ฌ ์ญ์ ๊ธ๋ฆฌ ํ๋ฆ์ ๋ฏผ๊ฐํด์ผ ํฉ๋๋ค.
Duk Young (Sophia) Yang
(213) 500-5740
- COMPASS Real Estate ๋ผ์ผ๋๋ค ์คํผ์ค
- Commercial, Residential & Property Management - ์ KREBASC (๋จ๊ฐ์ฃผ ๋ถ๋์ฐ ํํ) ์ด์ฌ ๋ฐ ์์
๋ฏธ๋์ด ๋ด๋น
- SFR Certified(์์ธ์ผ/์ฐจ์/ ์ํ ๋งค๋ฌผ ์ ๋ฌธ) Short sale/ Foreclosure/ Real Estate Owned - ๋ฐ๋ ์์/์คํฐ๋ธ์จ๋์น/์บ๋
์ปจ์ธ๋ฆฌ ๋ผ์นด๋๋ค/๋ผํฌ๋ผ์ผํ/ํ์ฌ๋ฐ๋ ์ ๋ฌธ
๊ธ๋ฆฌ๊ฐ ๋ด๋ ค๊ฐ๋ฉด ๋งค์์๋ค์ด ๋์ด๋๊ธฐ ๋๋ฌธ์, ๋งค๋๋ฅผ ์๋๋ฅผ์ง ํน์
์กฐ๊ธ ๋ ๊ธฐ๋ค๋ฆด์ง ์ ๋ต์ ์ผ๋ก ํ๋จํ ํ์๊ฐ ์์ต๋๋ค.
2025๋
๋จ์ ๊ธฐ๊ฐ, ์์ฅ์ ๋ฐ๋ผ๋ณด๋ ๋
์์ผ๋ก ๋ช ๋ฌ์ ๊ณ์ ์ ์์ธ(๊ฐ์ยท๊ฒจ์ธ ๋น์๊ธฐ)๊ณผ ๊ธ๋ฆฌ ๋ณํ๊ฐ ์์ฅ์ ํฐ ์ํฅ์ ๋ฏธ์น ๊ฒ์
๋๋ค.
๋ฐ์ด์ด๋ ๋ณด๋ค ์ ๋ฆฌํ ์กฐ๊ฑด์์ ํ์ํ ์ ์๋ ๊ธฐํ๋ฅผ ํ์ฉํ๊ณ , ์
๋ฌ
๋ ํ์ค์ ์ธ ๊ฐ๊ฒฉ๊ณผ ์ง ์ค๋น๋ฅผ ํตํด ์์ฅ์์ ๊ฒฝ์๋ ฅ์ ํ๋ณดํด์ผ ํฉ๋ ๋ค. ๊ฒฐ๊ตญ ์ค์ํ ๊ฒ์ ์์ฅ ํ๋ฆ์ ์ ํํ ์ฝ๊ณ , ๋์ ์ํฉ์ ๋ง๋ ์ ๋ต ์ ์ธ์ฐ๋ ๊ฒ์
๋๋ค.
๋จ๊ฐ์ฃผ ๋ถ๋์ฐ์ ์ฌ์ ํ ๋ง์ ๊ธฐํ๋ฅผ ํ๊ณ ์์ผ๋ฉฐ, ์ฒ ์ ํ ์ค๋น์ ํ๋ช
ํ ํ๋จ์ด ๊ทธ ๊ธฐํ๋ฅผ ๋ด ์ง ํน์ ์ฑ๊ณต์ ์ธ ๋งค๋๋ก ์ฐ๊ฒฐ์ํฌ ๊ฒ์
๋๋ค.
๋จ๊ฐ์ฃผ ๋ญ์
๋ฆฌ ์ฃผํ ์์ฅ ์ง๋จ
๋ผ์นด๋๋ค ยท ํจ์๋๋ ยท ํ์ฝ ํํฌ ์
๋ฌ๋ค์ด ์ง๊ธ ์์์ผ ํ ์ ๋ต
๋จ๊ฐ์ฃผ ๋ถ๋์ฐ ์์ฅ์ ์ง๊ธ ๊ท ํ์ ๊ฐ๊น์ด ๋ชจ์ต์ ๋ณด์ด์ง๋ง, ์คยท๊ณ ๊ฐ ์ฃผํ์์๋ ์ ์ฐจ ๋ฐ์ด์ด์๊ฒ ์ ๋ฆฌํ ํ๋ฆ์ด ๊ฐ์ง๋๊ณ ์์ต๋๋ค. ํนํ
๋ผ์นด๋๋ค ํ๋ฆฐํธ๋ฆฟ์ง, ํจ์๋๋, ํธ์ฝ ํํฌ ๊ฐ์ ๊ณ ๊ธ ์ฃผ๊ฑฐ์ง์์๋ ๋งค
๋ฌผ ์๊ฐ ๋์ด๋๊ณ , ๋ฐ์ด์ด๋ค์ ๋ ์ฌ์ ์๊ฒ ์ง์ ๋น๊ตํ๋ฉฐ ํ์์ ์ํ
๋ ์ํฉ์
๋๋ค.
๋ญ์
๋ฆฌ ์ฃผํ ์์ฅ์ ํน์ง
๊ณ ๊ธ ์ฃผํ ์์ฅ์ ์ผ๋ฐ ์ฃผํ ์์ฅ๊ณผ ๋ค๋ฅธ ํ๋ฆ์ ๋ณด์
๋๋ค.
๋ฐ์ด์ด์ธต์ด ํ์ ์ ์ด๊ณ , ์ด๋ค์ ๋จ์ํ ๊ฐ๊ฒฉ๋ง์ด ์๋๋ผ ํ๊ตฐ, ๊ฑด์ถ์
๊ฐ์น, ์ํ ํธ์์ฑ, ํ๋ผ์ด๋ฒ์, ์ปค๋ฎค๋ํฐ ํ๊ฒฝ๊น์ง ์ข
ํฉ์ ์ผ๋ก ํ๊ฐํฉ ๋๋ค. ์ต๊ทผ์๋ ๋งค์์๋ค์ด ์์ ๋ณด๋ค ๋ ์ ์คํด์ก๊ณ , ๋งค๋ฌผ์ ์ค๋ ์ง์ผ
๋ณด๋ฉด์ ํ์ ์ฌ์ง๋ฅผ ์ฐพ๋ ๊ฒฝ์ฐ๊ฐ ๋๊ณ ์์ต๋๋ค. ๋ฐ๋ผ์ ๋งค๋์๊ฐ ๋จ์ ํ โ์ข์ ์ง์ด๋ ํ๋ฆด ๊ฒ์ด๋คโ๋ผ๊ณ ์๊ฐํ๊ธฐ๋ณด๋ค๋, ์ฐจ๋ณํ๋ ๊ฐ์น
๋ฅผ ์ด๋ป๊ฒ ๋ณด์ฌ์ค ๊ฒ์ธ์ง๊ฐ ํต์ฌ์ด ๋ฉ๋๋ค. ํ์ฌ ๊ธ๋ฆฌ ํ๊ฒฝ๊ณผ ๋งค์ ์ฌ๋ฆฌ
30๋
๊ณ ์ ๋ชจ๊ธฐ์ง ๊ธ๋ฆฌ๊ฐ ํ์ฌ ์ฝ 6.2% ์ ํ๋ก ํ์ฑ๋์ด ์์ต๋๋ค. ์ง
๋ํด์ ๊ณ ๊ธ๋ฆฌ์ ๋นํ๋ฉด ์ํ๋ ์์ค์ด๋ฉฐ, ์ฐ์ค(Fed)์ ๊ธ๋ฆฌ ์ธํ ๊ฐ๋ฅ ์ฑ๊น์ง ๋ํด์ ธ ๋ฐ์ด์ด๋ค์ ๋งค์ ์ฌ๋ฆฌ๋ ์กฐ๊ธ์ฉ ํ๋ณต์ธ๋ฅผ ๋ณด์ด๊ณ ์์ต ๋๋ค. ํนํ ๋ญ์
๋ฆฌ ๋ฐ์ด์ด๋ค์ ๋์ถ๋ณด๋ค๋
๋ถ๋ด ๊ฐ์โ๋ผ๋ ๊ธ์ ์ ์ ํธ๋ก ์์ฉํฉ๋๋ค. ๋ค์ ๋งํด, ๊ธ๋ฆฌ ํ๋ฝ์ ๋ญ
์
๋ฆฌ ์์ฅ์์๋ ๋งค์ ์์ง์์ ์กฐ๊ธ์ฉ ์๊ทนํ ์ ์๋ ์์ธ์ด ๋ฉ๋๋ค.
์
๋ฌ๊ฐ ์ค๋นํด์ผ ํ ์ ๋ต ๊ณ ๊ธ ์ฃผํ ์
๋ฌ์๊ฒ ํ์ํ ๊ฒ์ ๋จ์ํ ๊ฐ๊ฒฉ ๊ฒฝ์๋ ฅ์ด ์๋๋๋ค.
1. ์ ํํ ๊ฐ๊ฒฉ ์ฑ
์
๋งค์์๋ค์ ์ต๊ทผ ์์ฅ ๋ฐ์ดํฐ์ ๋ฏผ๊ฐํฉ๋๋ค. ์ง๋์น๊ฒ ๋์ ๊ฐ๊ฒฉ์ ํ
์ ํ
์ด๋ธ์กฐ์ฐจ ์ด๋ฆฌ์ง ๋ชปํ๊ฒ ๋ง๋ญ๋๋ค. ์ต๊ทผ ๊ฑฐ๋ ์ฌ๋ก๋ฅผ ๋ฐ์ํ ํ์ค
์ ์ด๋ฉด์๋ ํ๋ฆฌ๋ฏธ์์ ์ ์งํ ์ ์๋ ๊ฐ๊ฒฉ ์ค์ ์ด ํ์์
๋๋ค.
2. ํ๋ ์ ํ
์ด์
(์ง์ ์ฒซ์ธ์)
๋ญ์
๋ฆฌ ์ฃผํ์ผ์๋ก ๋ํ
์ผ์ด ์ค์ํฉ๋๋ค. ์์ ์๋ฆฌ ํ๋, ์กฐ๊ฒฝ ์ ๋ฆฌ, ์กฐ๋ช
์ฐ์ถ๋ง์ผ๋ก๋ ์ง์ ๊ฐ์น๋ ํฌ๊ฒ ๋ฌ๋ผ์ง๋๋ค.
์ ๋ฌธ ์คํ
์ด์ง๊ณผ ๊ณ ํ์ง ๋ง์ผํ
์๋ฃ(์ฌ์ง, ์์, ๋๋ก ์ดฌ์)๋ ๋ฐ์ด์ด
์ ๊ด์ฌ์ ๋์ด์ฌ๋ฆฌ๋ ๊ฒฐ์ ์ ์์๊ฐ ๋ฉ๋๋ค.
3. ์คํ ๋ฆฌํ
๋ง ๊ธฐ๋ฐ ๋ง์ผํ
๋จ์ํโ๋ฐฉ ๋ช ๊ฐ, ์์ค ๋ช ๊ฐโ๊ฐ ์๋๋ผ, ๊ทธ ์ง์ด ๊ฐ์ง ๋ผ์ดํ์คํ์ผ
์ ๊ฐ์น๋ฅผ ๋ณด์ฌ์ค์ผ ํฉ๋๋ค. ๊ทธ ์๋ก, ๋ผ์นด๋๋ค๋ผ๋ฉด ํ๊ตฐ๊ณผ ํ๋ผ์ด๋นํ
๊ฐ์กฑ ํ๊ฒฝ, ํจ์๋๋๋ ๊ฑด์ถ๋ฏธ์ ๋ฌธํ์ ๊ฐ์น, ํธ์ฝ ํํฌ๋ ์ญ์ฌ์ ์ ์ฐ
๊ณผ ์ค์ฌ์ง ์ ๊ทผ์ฑ์ ๊ฐ์กฐํ ์ ์์ต๋๋ค.
๋จ์ 2025๋
, ๋ญ์
๋ฆฌ ์
๋ฌ์๊ฒ ์ฃผ๋ ์กฐ์ธ
๋ค๊ฐ์ค๋ ๊ฐ์ยท๊ฒจ์ธ์ ์ ํต์ ์ผ๋ก ๊ฑฐ๋๊ฐ ์ค์ด๋๋ ์๊ธฐ์ด์ง๋ง, ์ฌํด
๋ ์์ฅ์ด ๋ฐ์ด์ด ์นํ์ ์ผ๋ก ๋ณํด๊ฐ๊ณ ์์ด ๊ธฐ๋ฏผํ ๋์์ด ํ์ํฉ๋
๋ค. ๋งค๋๋ฅผ ๊ณ ๋ ค์ค์ด๋ผ๋ฉด, ์ง์ ์ค๋นํ๊ณ ๊ฐ๊ฒฉ์ ์ ํํ ๋ง์ถฐ ๋๋ ๊ฒ์ด ์ค์ํฉ๋๋ค. โ๋ ์ข์ ์๊ธฐ๋ฅผ ๊ธฐ๋ค๋ฆฌ๊ฒ ๋คโ๋ ์ ๋ต์ด ๋ฐ๋์ ์ ๋ฆฌํ
๋ค๊ณ ๋ณด๊ธฐ๋ ์ด๋ ต์ต๋๋ค.
๊ธ๋ฆฌ, ๊ฒฝ๊ธฐ, ์์ฅ ์์๋ ์ธ์ ๋ ๋ณํ ์ ์๊ธฐ ๋๋ฌธ์
๋๋ค. ์คํ๋ ค ์ง๊ธ ์ ๋งค๋ฌผ ๊ฒฝ์์ด ์น์ดํด์ง๋ ์ํฉ์์ ์ ์ค๋น๋ ์ง์ด ์คํ๋ ค ๋ ๋๋ณด์ผ
์ ์๋ ์๊ธฐ์ด๊ธฐ๋ ํฉ๋๋ค.
๋ญ์
๋ฆฌ ์์ฅ์ ๋ฐ์ด์ด๋ค์ ๋จ์ํ ์ง์ ์ฌ๋ ๊ฒ์ด ์๋๋ผ, ์ถ์ ์ง๊ณผ ๊ฐ
์น๋ฅผ ์ ํํฉ๋๋ค. ๋ฐ๋ผ์ ์
๋ฌ๊ฐ ํด์ผ ํ ์ผ์ โ๊ฐ๊ฒฉ๋ง ๋ง์ถ๋ ๊ฒโ ์ด ์๋๋ผ, ๊ทธ ์ง์ด ๊ฐ์ง ๋
์ฐฝ์ ๋งค๋ ฅ์ ์ต๋ํ ๋ถ๊ฐ์ํค๋ ๊ฒ์
๋๋ค.
2025๋
๋จ์ ๊ธฐ๊ฐ, ๋ผ์นด๋๋ค ยท ํจ์๋๋ ยท ํ์ฝ ํํฌ์ ์
๋ฌ๋ค์ ์ง ๊ธ์ด ๋ฐ๋ก ์ง์ ์ ๋๋ก ์ค๋นํด ์์ฅ์ ๋ด๋์ ์ ์๋ ๊ธฐํ๋ผ๋ ์ ์ ๊ธฐ
์ตํ์๊ธฐ ๋ฐ๋๋๋ค.
์์ฅ์ ํญ์ ๋ณํฉ๋๋ค. ๊ทธ๋ฌ๋ ์ ๋๋ก ์ค๋น๋ ์ง์ ์ธ์ ๋ ๊ธฐํ๋ฅผ ๋ง๋ญ ๋๋ค. ๋ง์ฝ ์ง๊ธ ์ง์ ์ฌ์ผ ํ ์ง, ํ์์ผํ ์ง, ์กฐ๊ธ ๋ ๊ธฐ๋ค๋ ค์ผ ํ ์ง ๊ณ
๋ฏผ๋๋ค๋ฉด ์ธ์ ๋ ํธํ๊ฒ ์ฐ๋ฝ ์ฃผ์ธ์.
์ ๋ฌธ๊ฐ์ ๋ฐ์ดํฐ๋ฅผ ๊ธฐ๋ฐ์ผ๋ก ํ ํ์ํ์ ์๋ด์ ๋น์ ์๊ฒ ๋ง๋โ๋ง์ถค ํ ํด๋ตโ์ ๋๋ฆฌ๊ฒ ์ต๋๋ค.
๋ฌธ์ : (213) 500-5740 ์ํผ์ ์
์๋ฃํด์ผ ํ ํ์ ์์
์ ์ง ๊ณ์ฝ์ ์๋ฃ๋์ง๋ง ์
์
์ ๊ณ์๋ฉ๋๋ค! ํ์ธํธ์น ์
์๋ก ํ๊ฑฐ๋ ์กฐ๊ฒฝ์ ๊ฐ์ ํ๋
๋ฑ ํ๊ณ ์ถ์ ํ๋ก์ ํธ๊ฐ ๋ถ๋ช
์์ ๊ฒ์
๋๋ค. ํ์ง๋ง ์ง์ ์ฐ ํ ์ฒซํด์ ํด์ผ ํ๋, ์๊ฐ ์ง๋ ๋ชปํ ์ค์ํ ์์
๋ค๋ ์
์ต๋๋ค. ์ง์ ์ฐ ํ ์ฒซํด์ ํด์ผ ํ ๋ช ๊ฐ์ง ์์
์ ์๊ฐํฉ๋๋ค.
์๋ฌผ์ ๊ต์ฒด
๋ฌธ ์ ๊ธ์ฅ์น ๊ต์ฒด๋ ์ฒซ ์ฃผ์ ํด์ผ ํ๋ ์์
์ด๋ฉฐ ์ฐจ๊ณ ๋ฌธ์ ๋ค์ ํ๋ก๊ทธ
๋๋ฐ ํ๋ ๊ฒ๋ ์์ง ๋ง์ธ์. ์ด์ ์ง์ฃผ์ธ์ด ์น์ ํ๊ณ ๋ฏฟ์์ง์ค๋ฌ์ ๋ณด
์ด๋๋ผ๋, ๋๊ฐ ๋ด ์ง ์ด์ ๋ฅผ ๊ฐ์ง๊ณ ์๋์ง๋ ์ ์ ์์ต๋๋ค. ๋ถ๋์ฐ
์ค๊ฐ์ธ๋ถํฐ ์ฒญ์๋ถ๊น์ง ์๋น ์ด์ ๋ ์ฌ๊ธฐ์ ๊ธฐ ๋ ๋์๋ค๋ ์ ์์ต๋๋ค.
์กฐ๋ช
๊ธฐ๊ธฐ ์
๊ทธ๋ ์ด๋
๋ฐฑ์ด์ ๊ตฌ๋ฅผ ์๋์ง ํจ์จ์ ์ธ LED ์กฐ๋ช
์ผ๋ก ๊ต์ฒดํ๋ฉด ์ ๊ธฐ ์๊ธ์ ์
๊ฐํ๊ณ ์ฌํ๋งค ๊ฐ์น๋ฅผ ๋์ผ ์ ์์ต๋๋ค. ๋ํ ์ค์ํค๋์ ์๋๊ผญ์ง๋ฅผ
๊ต์ฒดํ๊ณ ์
๊ทธ๋ ์ด๋ํ์ฌ ๋ฌผ์ ์ ์ฝํ๊ณ ํธ์ํจ์ ๋์ด๋ ๊ฒ๋ ๊ณ ๋ คํด
๋ณด์ธ์.
์ค๋๋ ์ฃผํ์ ํฌ, ์๋๊ผญ์ง, ์กฐ๋ช
๋ฐ ๊ธฐํ ์ค๋น๊ฐ ์ค๋๋์ด ์๋นํ ์
์ ๋ฌผ๊ณผ ์ ๊ธฐ๋ฅผ ์ฌ์ฉํ๋ ๊ฒฝ์ฐ๊ฐ ๋ง์ต๋๋ค. ๋ถ์, ํ์ฅ์ค, ํ๊ด์ ์กฐ๋ช
์ ๊ฐ์ฅ ํฐ ์ํฅ์ ๋ฏธ์น๋ฏ๋ก ๋จผ์ ์ง์คํด์ผ ํฉ๋๋ค.
์ง๋ถ ์ ๊ฒ ๋ฐ ํํต ์ฒญ์
์ง ์์ ๋ชจ๋ ๊ฒ์ ์ง๋ถ์ผ๋ก ๋ณดํธ๋๋ฏ๋ก ์ง๋ถ ์ํ๊ฐ ์ํธํ์ง ํ์ธํ
์ธ์. ๊ทธ๋ ์ง ์์ผ๋ฉด ๋์, ๊ณฐํก์ด ๋ฐ์, ๊ฑด๋ฌผ ๊ธฐ์ด ์ฃผ๋ณ์ ๊ณ ์ธ ๋ฌผ์ด ๋ฐ
์ํ ์ํ์ด ์์ต๋๋ค.
1๋
์ ๋ ๋ฒ ๋์ด๋๊ฑฐ๋ ๊ธฐ์๊ฐ ๋๋ฝ๋๊ฑฐ๋ ํญํ ํผํด ๋ฑ์ ์งํ๋ฅผ ํ
์ธํ๊ณ ๋น๋ฌผ์ด ์ง ๋ฐ์ผ๋ก ๋น ์ ธ๋๊ฐ ์ ์๋๋ก ํํต์ ์ฒญ์ํ์ธ์.
ํ์ธํธ์น ๋ก ์ค๋ด ๊พธ๋ฏธ๊ธฐ
์ ์ง์ผ๋ก ์ด์ฌํ ํ ์ฒซํด์ ๊ฐ์ฅ ํํ ์ฃผํ ๋ฆฌ๋ชจ๋ธ๋ง ํ๋ก์ ํธ ์ค ํ๋ ๋ ์ค๋ด ํ์ธํธ์น ์
๋๋ค. ํ์ธํ
์ ๋ฏธ์ ์ธ ๋ถ๋ถ๋ง ๊ฐ์ ํ๋ ๊ฒ์ผ๋ก ์ ๊ฐํ๊ธฐ ์ฝ์ง๋ง, ๊ธฐ๋ฅ์ ์ธ ์ธก๋ฉด๋ ์์ต๋๋ค. ์ ํ์ธํธ๋ ํ๋ฉด์ ๋ฐ๋ดํ ๊ณ , ๋ถ์พํ ๋์๋ฅผ ์์ ๋ฉฐ, ์จ์ ํ ๋๋ง์ ๊ณต๊ฐ์ ๋ง๋ค์ด์ค๋๋ค. ์ด์ ์ง์ฃผ์ธ์ด ํก์ฐ์ ํ๊ฑฐ๋ ๋ฐ๋ ค๋๋ฌผ์ ํค์ ๋ค๋ฉด ์ ํ์ธํธ์น ์ ๋์ฑ ์ค ์ํฉ๋๋ค. ๋ํ, ์ธ๋ถ ํ์ธํธ์น ๋ ์ํํ ํ์ง ๋ง์ธ์. ์ ํ์ธํธ๋ ๋ฒฝ ๊ณผ ์ธ๋ฒฝ์ ์ต๊ธฐ, ํ๋ณ ์์, ๋ง๋ชจ๋ก๋ถํฐ ๋ณดํธํฉ๋๋ค. ํ์ธํธ๋ฅผ ์น ํ์ง ์์ผ๋ฉด ํนํ ์ต๊ธฐ๊ฐ ๋ง์ ๊ณณ์์๋ ๋ฒ๊ฒจ์ง๊ฑฐ๋ ์ฉ๊ฑฐ๋ ๊ณฐํก์ด๊ฐ ์๊ธธ ๊ฐ๋ฅ์ฑ์ด ๋์ต๋๋ค.
๋จ์ด
๋ง์ ์ฃผํ, ํนํ ๋ค๋ฝ๋ฐฉ, ์งํ์ค, ์ธ๋ฒฝ ๋ฑ์ ๊ณต๊ฐ์๋ ์ ์ ํ ๋จ์ด์ด ๋
์ด ์์ง ์์ ์๋์ง ๊ณ ์ง์๋ฅผ ๋ฐ์ผ๋ฉด ํฐ ์ถฉ๊ฒฉ์ ๋ฐ์ ์ ์์ต๋๋ค.
์ฐฝ๋ฌธ, ๋ฌธ, ๋ค๋ฝ๋ฐฉ์ผ๋ก ๋ค์ด์ค๋ ์ธํ์ ์ฐ๊ฐ ์๋ฐฑ ๋ฌ๋ฌ์ ๋๋ฐฉ๋น์ ๋๋ฐฉ
๋น๋ฅผ ์ฆ๊ฐ์ํฌ ๋ฟ๋ง ์๋๋ผ ์ง ์์ ๋ถํธํ๊ฒ ๋ง๋ค ์ ์์ต๋๋ค. ๋ํ
์๋์น ์๊ฒ ํ์๋ก ์ต๊ธฐ๋ ํด์ถฉ์ด ๋ค์ด์ฌ ์๋ ์์ต๋๋ค.
์์ ์ฅ๋น ํ
์คํธ ๋ฐ ์
๋ฐ์ดํธ ํ์ฌ ๊ฐ์ง๊ธฐ, ์ผ์ฐํํ์ ๊ฒฝ๋ณด๊ธฐ, ์ํ๊ธฐ๋ ์ ์กฐ์
์ฒด ๊ถ์ฅ ์ฌํญ์ ๋ฐ๋ผ
7๋
์์ 10๋
๋ง๋ค ๊ต์ฒดํด์ผ ํ์ง๋ง, ๋๋ถ๋ถ์ ์ฌ๋๋ค์ด ์ด๋ฅผ ์ํํ ํฉ ๋๋ค.
์์ํ์
จ๊ฒ ์ง๋ง, ์ด๋ฌํ ์ฅ๋น์ ํ
์คํธ์ ์
๊ทธ๋ ์ด๋๋ ์๋ช
์ ๊ตฌํ๋
์์
์ด๋ฉฐ, ์ฒซ ๋ฌ์ ์๋ฃํ์ด์ผ ํฉ๋๋ค. ๊ต์ฒดํ์ง ์์ผ๋ฉด ํ์ฌ๋ ๊ฐ์ค ๋
์ถ๊ณผ ๊ฐ์ ๊ธด๊ธ ์ํฉ ๋ฐ์ ์ ํ์ํ ๊ธด๊ธ ๊ฒฝ๋ณด๋ฅผ ๋ฐ์ง ๋ชปํ ์ํ์ด ์ ์ต๋๋ค.
์ง์
๋ก ์ ๊ฒ ๋ฐ ๋ฐ๋ด ํฌ์ฅ๋ ์ง์
๋ก๋ฅผ ๋ฐ๋ดํ๋ ๊ฒ์ ํ๋ฉด ์์์ ๋ฐฉ์งํ๊ณ ์ ์ฒด์ ์ธ ์ธ๊ด
์ ์ ์งํ๋ ๋ฐ ํ์์ ์
๋๋ค.
๋ฐ๋ดํ์ง ์์ผ๋ฉด ์ง์
๋ก๊ฐ ๊ฐ๋ผ์ง๊ณ , ์ํน ํจ์ด๊ณ , ํ์๋ ์ํ์ด ์์ต
๋๋ค. ์๊ฐ์ด ์ง๋จ์ ๋ฐ๋ผ ์ด๋ฌํ ๋ฐฉ์น๋ ์ฌ๊ฐํ ๊ตฌ์กฐ์ ์์์ผ๋ก ์ด์ด
์ ธ ๊ฐ๋น์ผ ์๋ฆฌ ๋๋ ์ ์ฒด ๊ต์ฒด๊ฐ ํ์ํ ์ ์์ต๋๋ค.
์ฝ๋ ์์
(Code Hero)
ํํค์คํ์ ํ ์๊ณจ, ์๊ฐ ์ปค๋ค๋ ๋งท๋์
๋๋ฆฌ๊ณ ์์์ต๋๋ค.
์ฃผ์ธ์ ์๊ฐ ๋งค์ผ ๊ฐ์ ๊ณณ์ ๋๋ ๊ฒ์ ์๋ฉด ์ง์ณ์ ์ผ์ ํ์ง ๋ชปํ๊ธฐ
์, ์ด๋๋ก ๊ฐ๋์ง ๋ชจ๋ฅด๊ฒ ํ๊ธฐ ์ํด ์์ ๋์ ๊ฐ๋ ธ์ต๋๋ค. ์ด ๋ชจ์ต์
์ด๋๋ก ๊ฐ๋์ง ์์ง ๋ชปํ ์ฑ ๊ทธ์ ์ด์ฌํ๋ง ๋ฌ๋ ค๊ฐ๋ ์ฐ๋ฆฌ์ ์ธ์์ ๋ณด
์ฌ์ฃผ๋ ๊ฒ ๊ฐ์ต๋๋ค.
'์์ด๋ฒ๋ฆฐ ์ธ๋'์ ์๊ฐ์ธ ํค๋ฐ์จ์ด๋ ์ด๋ฐ ์ธ์์ ๋ํ ๋ต์ ์ฐพ์ผ๋ ค๊ณ
๋
ธ๋ ฅํ์ต๋๋ค.
1์ฐจ ๋์ ์ ์ฐธ์ ์์์ ์ ๊ณผ ๊ตญ๊ฐ, ์ฌ๋๊ณผ ๊ฐ์ ๊ธฐ์กด์ ๊ฐ์น๊ฐ ๋ฌด๋์ง
๋ ๊ฒ์ ๋ณด๋ฉด์ ์๋ฏธ๋ฅผ ์์ด๋ฒ๋ฆฐ ์ธ์์ ์ด์๊ฐ ๋ฐฉ๋ฒ์ผ๋ก '์ฝ๋ ์์
(Code Hero)' ์ด๋ผ๋ ๋
ํนํ ์ธ๊ฐ์์ ์ ์ํฉ๋๋ค. ์ด ์์
์ ์ธ์์ ๋ชฉ
์ ์ด๋ ์ฌํ ์ธ๊ณ๋ฅผ ๋ฏฟ์ง ์์ต๋๋ค. ๋์ ์ค์ค๋ก ๋ง๋ ์๊ฒฉํ ํ๋ ๊ท
๋ฒ, ์ฆ ์์ ์ ์ฝ๋๋ฅผ ์งํค๋ฉฐ ์ด์๊ฐ๋๋ค.
'์ฝ๋ ์์
'์ ์ฃผ์ ํน์ง์ ๋ค์๊ณผ ๊ฐ์ต๋๋ค.
1. ์๋ฐ ์์์์ ์ฐ์ํจ (Grace Under Pressure): ์ฝ๋ ์์
์ ๊ฐ์ฅ ํต์ฌ์ ์ธ ํน์ง์
๋๋ค. ์ด๋ค์ ๊ณ ํต, ์ํ, ์ฃฝ์๊ณผ ๊ฐ์ ๊ทนํ ์ํฉ
์์์๋ ๊ฐ์ ์ ์ธ ๋์๋ฅผ ๋๋ฌ๋ด์ง ์๊ณ ์นจ์ฐฉํจ๊ณผ ํ์๋ฅผ ์ ์งํฉ๋ ๋ค. ์ถ์ ๋น๊ทน ์์์ ๋๋ ค์ํ๊ฑฐ๋ ๋ถํํ๋ ๋์ , ์ฉ๊ฐํ๊ณ ์์ฐํ๊ฒ
๋ง์๋ ๊ฒ์ ์ค์ํ๊ฒ ์ฌ๊น๋๋ค.
2. ํ๋์ฃผ์์ (Man of Action): ์ด๋ค์ ์๊ฐ์ด๋ ์ด๋ก ๋ณด๋ค๋ ํ๋ ์ ์ค์ํฉ๋๋ค. ์์ ์ ์ ๋
์ด๋ ๊ฐ์ ์ ๋ํด ๊ธธ๊ฒ ๋งํ์ง ์์ผ๋ฉฐ, ์ค์ง ํ๋์ผ๋ก ์์ ์ ์ฆ๋ช
ํฉ๋๋ค. ์ฉ๊ฐํ ํ๋์ ํ ํ์ ๊ทธ๊ฒ์ ๋ํด ๋ ๋ฒ
๋ฆฌ๋ ๊ฒ์ ๊ฒฝ๋ฉธํ๋ฉฐ, ๋ง๋ณด๋ค๋ ์ค์ฒ์ด ์ค์ํ๋ค๊ณ ๋ฏฟ์ต๋๋ค.
3. ์ ๋ฌธ๊ฐ ์ ์ (Professionalism): ์ฝ๋ ์์
์ ์์ ์ด ํ๋ ์ผ์ ์ ์ต๊ณ ์ ์ ๋ฌธ๊ฐ๊ฐ ๋๋ ค๊ณ ๋
ธ๋ ฅํฉ๋๋ค. ํฌ์ฐ์ฌ, ์ฌ๋ฅ๊พผ, ๊ตฐ์ธ, ์๊ฐ ๋ฑ ์ด๋ค ์ง์
์ ๊ฐ์ก๋ , ๊ทธ ๋ถ์ผ์ ๊ธฐ์ ์ ์๋ฒฝํ๊ฒ ์ตํ๊ณ ํต์ ํจ์ผ๋ก์จ ํผ๋์ค๋ฌ์ด ์ธ์ ์์์ ์์ ๋ง์ ์ง์๋ฅผ ๋ง๋ค์ด๋
๋๋ค.
4. ํ์ค์ฃผ์์ ์พ๋ฝ์ฃผ์: ์ด๋ค์ ์ฃฝ์ ์ดํ์ ์ธ์์ด๋ ์ด์์ ์ธ ๊ฐ ์น๋ฅผ ๋ฏฟ์ง ์์ต๋๋ค. "์ฃฝ์ผ๋ฉด ๊ทธ๊ฒ์ผ๋ก ๋์ด๋ค"๋ผ๋ ํ๋ฌด์ฃผ์์ ์ธ ์ธ๊ณ ๊ด์ ๊ฐ์ง๊ณ ์๊ธฐ์, ์ด์์๋ ๋์์ ๊ฐ๊ฐ์ ์ธ ์ฆ๊ฑฐ์ (์ข์ ์์, ์ , ์ฌ๋ ๋ฑ)์ ์ค์ํ๊ฒ ์๊ฐํ๊ณ ๋ง๋ฝํฉ๋๋ค. ์ถ์ ์์คํ ์ฌ๊ธฐ๋ฉฐ ์ต๋ํ ํผํ๋ ค๊ณ ํ์ง๋ง, ํผํ ์ ์์ ๋๋ ์ฉ๊ฐํ๊ฒ ๋ง์ฃผํฉ๋๋ค.
5. ๋ด๋ฉด์ ์์ฒ: ๋ง์ ์ฝ๋ ์์
๋ค์ ์ ์ ๋ฑ์ผ๋ก ์ธํ ์ก์ฒด์ , ์ ์ ์
์์ฒ๋ฅผ ์ง๋๊ณ ์์ต๋๋ค. ์ด๋ค์ ์ด ์์ฒ๋ฅผ ๊ทน๋ณตํ๊ณ ์์ ๋ง์ ๊ท๋ฒ์
์ง์ผ ๋๊ฐ์ผ๋ก์จ ์ธ๊ฐ์ ์กด์์ฑ์ ์ฆ๋ช
ํ๋ ค ํฉ๋๋ค.
๋ํ์ ์ธ ์๋ก ใํ์์ ๋ค์ ๋ ์ค๋ฅธ๋คใ์ ํฌ์ฐ์ฌ ํ๋๋ก ๋ก๋ฉ๋ก (Pedro Romero), ใ๋
ธ์ธ๊ณผ ๋ฐ๋คใ์ ๋
ธ์ธ ์ฐํฐ์๊ณ (Santiago) ๋ฑ์ ๋ค
์ ์์ต๋๋ค. ์ด๋ค์ ๋ชจ๋ ๋ถํ์คํ๊ณ ์ ๋์ ์ธ ์ธ์ ์์์ ์์ ๋ง์ ์์น์ ๊ตณ๊ฑดํ ์งํค๋ฉฐ ์ด์๊ฐ๋ '์ฝ๋ ์์
'์ ๋ชจ์ต์ ๋ณด์ฌ์ค๋๋ค. ํค๋ฐ์จ์ด์๊ฒ ์ค์ํ ๊ฒ์ ๋ชฉ์ ์๋ ์ธ์์ ์ฌ๋ ์ธ๊ฐ์ด ์ด๋ป๊ฒ ์ฉ๊ธฐ
์ ํ์๋ฅผ ์งํค๋ฉฐ ์ด์๋ผ ๊ฒ์ธ๊ฐ ์์ต๋๋ค. ํ์ง๋ง ๊ทธ ์์ ์ ์ ์ ํ์
์ฆ๊ณผ ์ฐ์ธ์ฆ์ด๋ผ๋ ๊ฑฐ๋ํ ๋งท๋ ์์์ ๋ฌด๋์ก์ต๋๋ค.
์ค์ค๋ก ๋ง๋ ์ฝ๋๋ก ์ถ์ ์งํฑํ๋ ค ํ์ง๋ง, ๊ทธ ๋ฌด๊ฒ๋ฅผ ๋๋ด ๊ฐ๋นํ์ง ๋ชป
ํ๊ณ , ์ฝ๋ ์์
์ฒ๋ผ ์ค์ค๋ก ์์ ๋ง๊ฐํ์ต๋๋ค.
์ธ๊ฐ์ ์์ง๋ง์ผ๋ก๋ ์ถ์ ๊ฐ๋นํ ์ ์์์ ๋ณด์ฌ์ค ๊ฒ์
๋๋ค. ํค๋ฐ์จ
์ด์ ์์
์ด ์์ ์ ์ฆ๋ช
ํ๊ธฐ ์ํด ํ๋ก ์ธ์ ๋ค๋ฉด, ์ฑ๊ฒฝ์ ์ง๋ฆฌ์ ์๋ช
์ด์ ๊ธธ์ด์ ์์ ๊ทธ๋ฆฌ์ค๋๋ฅผ ๋ฐ๋ผ๋ณด๋ผ๊ณ ๋งํฉ๋
๋ค. ๋๊ฐ๋ฆฌ๊ฐ๋ฅผ ํ๊ณ ๋งท๋์ ๋๋ฆฌ๋ ์ธ์์ด๋ผ ํ ์ง๋ผ๋, ์ฐ๋ฆฌ๋ฅผ ์ฌ๋์ผ ๋ก ์ธ๋ํ์๋ ๋ถ์ด ๊ณ์๊ธฐ์ ์ฐ๋ฆฌ๋ ์ ๋งํ์ง ์๊ณ ์๋ง์ ํฅํด ๋์ ๊ฐ ์ ์์ต๋๋ค.
์ธ์์ ์ง์ ํ ์๋ฏธ์ ๋ฐฉํฅ์ ์ฐฝ์กฐ์ฃผ ํ๋๋๊ป ์๊ธฐ ๋๋ฌธ์
๋๋ค.
์ค๊ตญ์ ์ด๋ณ์์ ๋ณด๋ฉด์...
25๋
9์ 3์ผ ์ค๊ตญ์ ์ด๋ณ์์ ๋ณด์๋ค.
๊ฐ์๊ธฐ ์๊ฐ๋ ๊ฒ์ด 2018๋
2์ 7์ผ์ ํ์ฐฝ ๋๊ณ ์ฌ๋ฆผํฝ์ ์์ํ๋ ค ์จ
๋ถํ ์์๋จ์ด ์๊ฐ์ด ๋ฌ๋ค.
https://www.youtube.com/watch?v=bc86irDzL2M
๊ทธ๋ ๊ฐ๋จํ๊ฒ ๊ทธ ๋๋์ ์ ์ ๊ธ์ด ์๋ค.
ํ๋ชฉ์๋ฆฌ ํ๋์ ํ๋์ด๋ค.
์ง์นจ์ด ์๋ค. ํผ๊ณค๋ผ๊ฐ ์๋ค. ์ด์ ์ ์ด๋ค.
์ผ๊ตด์ด ์์๊ณ ํ์ ๋ ๋ฐ๋ค.
ํํธ๋ฌ์ง๋ ์๋ค. ๊ทธ๋ฐ๋ฐ ์ง๋จ์ด๋ค.
์ด์ฐ ๊ทธ๋ฆฌ ํ๋๋ก ์์ง์ผ๊น
์์ํ๋ ์ ๋ค์ ๋ชจ์ต์์์ ์ ์จ์ ๋๋๋ค.
ํ์ฝ๊ฐ์ ๋ก๋ด์ผ๊น? ์๋๋ฉด ์ค๋๋ ํ์์์ ์ฒด์ง๊ฐ์ด ์ ์ด ๋ฒ๋ฆฐ ํ์ธ๊ฐ?
๋๊ตฐ๊ฐ์ ๊ฐ์์ ๋๋์๊ฐ ์๊ธฐ ๋๋ฌธ์ธ๊ฐ?
ํ๋ ์(ํ)์ ๊ฐํ ์๋ ๋ชจ์ต์ด๋ค.
๋ฒฝ๋๊ฐ์ด ์ฐํ ๋์จ ๋ชจ์ต๋ค์ด๋ค.
ํํธ์ผ๋ก ๋น์ ๊ฐ ์ค๋ฉฐ ๋์จ๋ค.
ํ์ฐธ ์ ๊ณ ์ด๋ฆฐ ๋์ด ์์ ๋ชจ์ต๋ค์ธ๋ฐ ๋ฌด์์ ๋ฌถ์ฌ์ ์ ๋ฆฌ ๊ฐํ์ผ ํ๋๊ฐ?
์์ ์ ๋ฉ๊ณผ ๋ง์ ๋ด๋ฉฐ ์ถ์ ์ฆ๊ธฐ๋ ๋ํ๋ฏผ๊ตญ์ ์ ์์ด๋ค์ ์์ ์ค๋ฐ ํ
๋ณต์ ์ ๋ค์ ์ด๋ป๊ฒ ๋ณด๊ณ ๋๋ผ๊ณ ์์๊น
2025๋
9์ 3์ผ ์ค๊ตญ์ ์ด๋ณ์์ ๋ณด์๋ค.
์ค๊ตญ์ ์ ์น์ ๊ธฐ๋
ํ์ฌ๋ผ๊ณ ํ๋ค.
๊ทธ๋ฌ๋ ์ญ์ฌ๋ฅผ ์ ๋๋ก ์ดํด ๋ณด๋ฉด ์ค๊ตญ์ ์ ์น์ ๊ธฐ๋
์ ํ๊ตฌ์ด๋ค.
์ญ์ฌ ์๊ณก์ด๋ค. ๊ทธ ๋น์ ์ 2์ฐจ ๋์ ์ ์น๋ฆฌํ ๋์ ์ค๊ณต๊ตฐ์ ์ญํ ์ ํ๋
๋ ์์๊ธฐ ๋๋ฌธ์ด๋ค.
ํธ๋ผํ ๋ํต๋ น์ ์ญ์ฌ๋ฅผ ์ ๋๋ก ์๊ธฐ ๋๋ฌธ์ ์ ์น ๊ธฐ๋
์ผ์ ์ฐ๋ฆฌ ๋ฏธ๊ตฐ์
๊ฒ ๋๋ ธ์ด์ผ ํ๋ค๊ณ ์ค์ผ๊ฑฐ๋ ธ๋ค.
๊ทธ๋ ์ฒ์๋ฌธ ๋ง๋ฃจ์ 3๋ช
์ ๋
์ฌ์๋ค์ด ์ฐ๋ค.
์์งํ๊ณผ ํธํด๊ณผ ๊น์ ์์ด๋ค.
์ด๋ณ์์ ํ๋ ์๋ง์ ๋ณ์ฌ๋ค์ ํ์ง๋ ๋ณด์๋ค.
ํ์ค ํ์ค์ด ํ ๋ช
์ฒ๋ผ ๋ง์ถ์ด์ ์์ง์ธ๋ค.
๊ณ ๊ฐ์กฐ์ฐจ๋ ๊ฐ์ ์๋์ ๊ฐ๋๋ฅผ ๋ง์ถ๋ฉด์ ํ๋ จํ๋ค๊ณ ํ๋ค.
๋๋์ ํ๋๋ ์ด์ ์ ๋ง์ถ์๋ค๊ณ ํ๋ค.
๋ชฉ์๋ฆฌ์กฐ์ฐจ๋ ํํจ์ด ์๋ค.
๋จ์ ๋ณ์ฌ๋ ์์๊ธฐ์๊ณ ์ฌ์ ๋ณ์ฌ๋ ์์ ์ผ๊ตด๋ก ๋ฐฐ์นํ๋ค.
์๋ ์ผ๊ตด๋ก ์ฌ์ ๋ก์์ ๋ณด์ด๊ณ ์์๋ค.
๋ง์น ๋ถํ์ ์์๋จ๋ค๊ณผ ๋๋ฌด ๋๊ฐ์๋ค.
๊ทธ ๋ณ์ฌ๋ค์ ํ๊ฒฐ๊ฐ์ด ํ๋์ ์ฌ๋์๊ฒ ์ด์ ์ ๋ง์ถ์๋ค.
์์งํ์ด๋ค. ํ๋ก ์๊ด์ด๋ค. ์ค์ค๋ก์ ์์์ผ๋ก ๊ฐ๋์ฐจ์๋ค.
์์ ์ ์๋ํจ์ ๋ณด์ฌ์ฃผ๊ณ ์๋ค. ๊ทธ๋ ์ ์ด ๋์ด์๋ค.
๊ทธ ์๋ ๋ฌด์ํ ๋ณ์ฌ๋ค์ ๊ท๊ฒฉํ๋์ฌ์๋ค.
๊ธฐ๊ณ๊ฐ์ด ์ด๋ค ํ์ ๋ง์ถ์ด์ง ๊ฒ ์ฒ๋ผ ์๋ฒฝํ๊ฒ ํ๋๊ฐ์ด ์์ง์ธ๋ค.
๋๋ ๋ณ์ฌ๋ค์ ๊ทธ ๋ชจ์ต์ ๋ณด๋ฉด์ ์ค์นํจ์ ๋๊ผ๋ค.
์ ํ ์๋ํ๊ฑฐ๋ ๊ฐํ ๋ชจ์ต์ผ๋ก ๋ณด์ฌ์ง์ง๊ฐ ์์๋ค.
๋ฉ์ง๊ฑฐ๋ ์๋ฆ๋ต๊ฒ ๋ณด์ฌ์ง์ง ์์๋ค.
์คํ๋ ค ๋น์ ๋ฅผ ๋๋ผ์๊ณ ์ผ๋ง๋ ๊ฐ์ฌ์ด๊ฐ๋ฅผ ๋๊ผ๋ค.
๋ ์ค๊ตญ์ ์ด๋ณ์์ ๋ณด๋ฉด์ ๋๋ฏ๋กฏ์ ๋ฐ๋ฒจํ์ด ์๊ฐ์ด ๋ฌ๋ค.
[์, ๋ฒฝ๋์ ๋ง๋ค์ด ๊ฒฌ๊ณ ํ ๊ตฝ์ ํ๊ณ ์ด์ ๋ฒฝ๋๋ก ๋์ ๋์ ํ๋ฉฐ](์ฐฝ 9:2)
์ฌ๊ธฐ์ [๋ฒฝ๋]์ด ๋์ค๊ณ [๋]์ด ๋์จ๋ค.
๋ฒฝ๋์ ํ์ ๋ง๋ค์ด ์ฐ์ด๋ธ๋ค. ๊ท๊ฒฉํ๋ ๊ฒ์ด ๋ฒฝ๋์ด๋ค.
๋์ ์์ฐ์์ด๋ค. ํ ๊ฐ์ธ ๊ฐ์ธ์ ์์ ์ ์ธ๊ถ ์์์ ํ์ฑ๋์ด ๋์จ ์ธ
๊ฒฉ์ฒด์ด๋ค. ๋น๊ต๋ฅผ ์ด์ํ๋ ์กด๊ทํจ์ด๋ค.
ํ๋๋์ ์ ๋จ์ ์์ ๋ ๋ฒฝ๋๋ก ์ฐ์ด๋ด๋ ๊ฒ์ด ์๋๋ผ ์์ฐ์์ผ๋ก ์ ๋จ
์ ์์ผ๋ผ๊ณ ํ๋ค.
[์ฒ ์ฐ์ฅ์ผ๋ก ๋ค๋ฌ์ง ์์ ์์ฐ์์ผ๋ก ๋ง๋ ๋จ์ด์๋ค](์8:31)
๊ทธ๋ฐ๋ฐ ๋๋ฏ๋ฆ๊ฐ์ ๋
์ฌ์๋ค์ ์ธ๊ฐ์ ๊ท๊ฒฉํ ์ํจ๋ค.
๋ฒฝ๋์ ์ฐ์ด๋ด๋ฏ ์ฐ์ด๋ด๊ฒ ํ๋ค.
์์ ์ ๋๋ผ ์์ ์ ์ ๊ตญ์ ํ ๋ถ์ํ์ผ๋ก ๋ง๋ค์ด ๋
ธ์๊ฐ์ด ์ข
์๋๊ฒ ํ ๋ค. ์ฒ์๋ฌธ ๋ง๋ฃจ์์ ์๊ด์ ๋ฐ์ผ๋ฉฐ ์์ ์ ์์ธ๋ฅผ ๋ง์ฒํ์ ๋ํ๋๋ ค๊ณ ํ๋ค.
์ ๊ฐ ํ๋๋์ ์๋ฆฌ์ ์์๋ ๊ฒ์ด๋ค.
์ด๊ฒ์ด ์ ๋ค์ ์ด๋ณ์์ด์๊ณ ์ด๊ฒ์ด ๋ฐ๋ฒจํ์ ๋ชจํ์ด์๋ค.
ํ๋๋์ ๋ฐ๋ฒจํ์ ๋ฌด๋์ง๊ฒ ํจ์ผ๋ก ๋ฉธ๋ง์ผ๋ก ๊ฐ๊ฒ ํ ๊ฒ์ด ์ฑ๊ฒฝ์ ๊ตํ
์ด๋ค.
[ํ์ผ ์์ฑ์ผ๋ก ์ธ์ณ ๊ฐ๋ก๋ ๋ฌด๋์ก๋๋ค ๋ฌด๋์ก๋๋ค
ํฐ ์ฑ ๋ฐ๋ฒจ๋ก ์ด์ฌ ๊ท์ ์ ์ฒ์์ ๊ฐ์ข
๋๋ฌ์ด ์์ ๋ชจ์ด๋ ๊ณณ๊ณผ ๊ฐ์ข
๋๋ฝ๊ณ ๊ฐ์ฆํ ์์ ๋ชจ์ด๋ ๊ณณ์ด ๋์๋๋ค](๊ณ18:2)
๋ ์ด๋ณ์์ ๋ณด๋ฉด์ ์ด์ ๊ณง ๋ฉธ๋ง์ผ๋ก ์น๋ซ๋ ์ค๊ตญ์ ๋ฏธ๋๋ฅผ ๋ณด์๋ค.
์ด๊ฒ์ด ์์ธ์์ ์๋ชฉ์ผ๊น?
์ธํ ๋จธ๋์ ๋งท๋
์ํ ๋ง์
์ํ ๋ง์
์ด์ด์๋ค๋ ๋ฏ์ด
์ด์ฒ๊ตฌ๋๋ฅผ ๋ถ์ก๊ณ
๋งท๋์ ๋๋ฆฐ๋ค.
ํ๊ณผ
์์ด๋ฆฌ์
์๋ง์ ํ์จ๊ณผ
๋๋ฌผ์ ์ง์ด๋ฃ๊ณ
์ด์ฒ๊ตฌ๋๋ฅผ ๋ถ๋ค๊ณ
๋งท๋์ ๋๋ฆฐ๋ค.
๋ถ์ค๋ฌ๋จ๋ฆฌ๊ณ
์ผ๊นจ๊ณ
๋ถ์
์ ธ
๋ค ๋
น์๋ด๋ฆฌ๋ผ๊ณ
๋งํ ์ธ์
๋๋ฌด๋ ์ํ ์ธ์
์๋ฌด ๋ง ์์ด
๋งท๋์ ๋๋ฆฌ๋
์ธํ ๋จธ๋๊ฐ
์ข
์ข
์๊ฐ์ด ๋ฌ๋ค.
๋ฐฑ ๋ ํ
[ ์์ (่ฉฉไฝ) ๋
ธํธ ]
์ธํ ๋จธ๋๊ฐ ์๊ฐ์ด ๋ฌ์ต๋๋ค.
์๋ จํ๊ณ ํฌ๋ฏธํ ์ด๋ฆฐ ์์ ์ ํ ๋จธ๋๊ฐ ๋๋ฌผ์ ํ๋ฆฌ๋ฉฐ ๋งท๋์ ๋๋ฆฌ๋ ๋ชจ์ต์
๋๋ค. ์ ๊ทธ๋ฆฌ ๋๋ฌผ์ ํ๋ฆฌ๋์ง ๋ชฐ๋์ต๋๋ค.
๋ฌด์์ด ๊ทธ๋ฆฌ ์ํ ๋ง์์ธ์ง ๋ชฐ๋์ต๋๋ค.
์๋ง ๋๋ฌผ์ด ํํ ์์ ์ด๊ธฐ์ ๊ทธ๋ฅ ๋๋ฌผ์ ํ๋ฆฌ๋ ๊ฒ์ด๋ผ ์๊ฐํ๋์ง ๋ชจ๋ฆ
๋๋ค. ์ ํ ๋ชฐ๋์ต๋๋ค.
๊ทธ๊ฒ ๋๋ผ ์์ ์ค์์ด์๊ณ
๊ทธ๊ฒ ์กฐ๊ตญ์ ๋ถ์ด๊ณผ 6ยท25 ๋๋ ์ ํ ๋ถํ ๊ดด๋ขฐ๊ตฐ์ ํ์ด์ด์๊ณ ๊ทธ๊ฒ ์ฐฉํ๊ณ ์ฐฉํ ๋ฐฑ์ฑ๋ค์ ์ํ๊ณผ ๊ณ ํต์ด์๋ค๋ ๊ฒ์โฆ.
์์ด๋ฆฌ์ ์๋ง์ ํ์จ๊ณผ ๋๋ฌผ์ ์ง์ด๋ฃ๊ณ ์ด์ฒ๊ตฌ๋๋ฅผ ๋ถ๋ค๊ณ ๋งท๋์ ๋๋ฆฌ๋ ์ธํ ๋จธ๋์ ์ํ ๋ง์์ ํ๋ ์์ผ ์์ ์ต๋๋ค.
๋ค์๋ ๋์ ์ธ๋์๋ ๊ทธ๋ฐ ๋๋ผ๋ฅผ ๋ฌผ
๋ ค ์ฃผ์ด์๋ ์๋๋ค๊ณ ํ๋ฉด์ ๋๋ฌผ๋ก
๊ธฐ๋ํ๋ ์ธํ ๋จธ๋์ ๋ชจ์ต์ด ์์ฆ์ ์์ผ ๋ ์ฌ๋์ต๋๋ค. ํ๊ตญ์ ์ฌํ ์ฃผ์ ๊ตญ๊ฐ์ ํ๋ฆ์ผ๋ก ๊ฐ ๋ ๋ชจ์ต์ ๋ณด๋ฉด์
์ ์ธํ ๋จธ๋์ ๋ชจ์ต์ด ๋ ์ค๋ฅด๋์ง ๋๋ ๋ชจ๋ฅผ ์ผ์ด์์ต๋๋ค.
์ฐ๋ฆฌโฆ !
์กฐ๊ตญ์ ์ํ ๊ธฐ๋ ํจ๊ป ํ์ผ๋ฉด ํฉ๋๋ค. ์ค์ ๋ก ๊ธฐ๋ํด์ผ ํ ๋๊ฐ ์ง๊ธ์์ ์์์ผ๋ฉด ํฉ๋๋ค.
-ํ(POOL) ์ฒญ์๊ถ ๋งค๋งค/๋งค์
ํ์ค ๋ถ์ ์ฐพ์ต๋๋ค.:
๋ฐธ๋ฆฌ 45๊ฐ(6๋ฐฐ) 20๊ฐ(5๋ฐฐ), ์์์ฅ ๊นจ๋ํ ๊ด๋ฆฌํฉ๋๋ค.
SHALOM POOL SERVICE : 818-606-3551
-์ํ/์ฅ์ ์ธ ๋์์ฃผ์ค ๋ถ ๊ตฌํจ: ์ง์ญ์ ํ๊ฐ๋ฅ ํ/ ํํธํ์ $20.25 ์์ (818)838-5273 ํ๊ตญ์ด ์๋ด Jaynolan.org
-๊ฐ์ฌ๋์ ์ฃผ์ค ๋ถ: ์ฃผ 2/3์ผ ์ค์ , ๊ฐ์ฌ๋์ ์ฃผ์ค
๋ถ, ์ ์ง, ์ฑ์ค, ์ ๋ฆฌ ์ ํ์๋ ๋ถ
๋ฐฉ2, ํ2, ์ฒญ์, ์ ๋ฆฌ, ๋นจ๋, ๊ฐ๋จ์์์ค๋น ๋ฑ, W2, background check, punch the clock ํ์- ์บ์ ํ์ด ์ ๋จ $25-27/hr, ์ฐํํด๋ผ๋ฆฌํ (714) 337-9956 ๋ฌธ์ ๋จผ์ ์ฃผ์ธ์.
-๊ณ ๊ธ ์์ฅ ์๋ณต ์ท์์ ํ์ค๋ถ: ๋ฐ์ฐ์ ์ฅ์ค ์ง์ญ, ์ ๊ฒฝํ์ ์ํจ Mrs๋ฐ (805) 279-0590
-์ฒญ์์ผ์๋ฆฌ ๊ตฌํจ : 10๋
๊ฒฝํ (213) 800-6033
-์๋ฒ ๊ตฌํจ: Kopan Sushi & Ramen Northridge, CSUN ์ธ๊ทผ ์ผ์๋ผ๋ฉ์ง, ๋ฐธ๋ฆฌ ์ง์ญ์ ์๋ ๋
ธ์ค๋ฆฌ์ง๋ชฐ ์, ํ
์ ํํธํ์๋ ํ์. ๋ฌธ์๋ก ๊ฐ๋จํ ์๊ฐ๊ฐ์ด ๋ถํ, $17.28/hour + tip, (213) 653-3948
-์ง์๊ตฌํจ: ์ฅ์ค๋๋ ์ง์ญ, ์ฃผ๋ฐฉ, ํฌํผ & ๋งค๋์ , (213) 880-0656
-๊ตฌํฉ๋๋ค: ๋งค๋์ , ์ฃผ๋ฐฉ ํฌํผ, ํฌํผ, ์๋ก ์คํํ๋
์ฅ์ค๋๋ BBQ ์นํจ, ์ด๋ฉ์ผ: bbqchickenoxnard@gmail. com or text: (213) 880-0656
-ํ
๋ฌ ๊ฒฝํ์๋๋ถ ์ฐพ์ต๋๋ค: ํ๋ฏธ์ํ ๋
ธ์ค๋ฆฌ์ง ์ง ์ ์ง์๋ชจ์ง, ์์ธํ ๋ด์ฉ์ Hanmi.com ์ ์ฑ์ฉ๊ณต
-๊ฒ์คํธ ํ์ฐ์ค : ๋ฐฉ1, ํ1, ์นจ๋, ์ท์ฅ, ๋์ฅ๊ณ , ์ ํฐ ๋ฆฌํฐ ํฌํจ, $1,800/์, (310) 595-4072
-๊ด๊ณ ๋งค๋์ ๊ฒธ ๋ณ์์ฅ ์ด์์คํดํธ: ์๋ฏธ ๋ฐธ๋ฆฌ ์ ์๋ ๋๋ฌผ ๋ณ์, ์ ๊ฒฝํ์ ์ฐ๋, Fluent in english, info@rsvet.com ๊ตฌ์ธ / ๊ตฌ์ง
๊ณ ๋ณด์๋ฉด ๋ฉ๋๋ค. (818) 709-3312, ์ด๋ฉ์ผ Jessica. hwang@Hanmi.com
-ํ์คํธ ์ฝํธ๋กคํ์ค ๋ถ: ์์์ด ๋๋ ์ค๋ ์ง์นด์ดํฐ
์ง์ญ ๋
๋ฆฝํด์ ํ์คํธ ์ฝํธ๋กค ํ์ค๋ถ์ ๊ตฌํฉ๋๋ค. ํ์ค ํธ ์ฝํธ๋กค ๋ผ์ด์ผ์ค ์์ง์, Pay๋ $25-$35/hr (818) 886-7378
-์์ธํด์ฅ๊ตญ ์นด์ดํฐ์์ ์ผํ์ค๋ถ: ๋ฐธ๋ฆฌ ๊ฐค๋ฌ๋ฆฌ์
๋ง์ผ ๋ชฐ๋ด, (818) 429-9448
-์จ์ด์ธ๋ ์ค ๊ตฌํจ : ๋ฐธ๋ฆฌ ์ก๋ฆผ์ฅ (818) 304-4362
-๊ฐ์ฌ ๋์์ด ๊ตฌํจ : ๋ฉ์ธ์ง ๋จ๊ธฐ์ธ์ (818) 8098120
-๋ฏธ์ฉ์ฌ, ๋ฏธ์ฉ ํฌํผ ๊ตฌํจ : ๋ฏธ์ฉ์ค์์ ๊ธฐ์ ๋ฐฐ์ฐ ๋ฉด์ "ํฌํผ"ํด์ฃผ์ค ๋ถ ๊ตฌํฉ๋๋ค. ๊ทธ๋ฆฌ๊ณ ๋ฏธ์ฉ์ฌ๋ ๊ตฌํจ (818) 263-0216
-๋ฐด๋ ๊ณต์ฐ์ ์ํ ์ฐ์ฃผ์ ๊ตฌํจ: ๋จ,๋
๋ณด์ปฌ, ํค๋ณด ๋, ๋๋ผ, ๊ฐ๊ฐ ๋ชจ์ฌ (213)256-7082
-ํ๊ถ๋ ์ฌ๋ฒ ๊ตฌํฉ๋๋ค: DohaTKD@gmail.com
-๊ต์ฌ & ๋ณด์กฐ๊ต์ฌ ๊ตฌํจ: ์ค๋ชฐ์๋ (818) 363-3684
-ํฐ๋ฐฉ ๋ ํธ: ํ์ฅ์ค, ์ค์๋ฃธ, ๋
๋ฆฝ๋ ๊ณต๊ฐ, ๊ฒ์ดํธ ๋ฐ ๋ก, ๋ฒ ๋๋ค, ์ ํธ๋ฆฌํฐ ํฌํจ, $1100, (818) 854-1114
-๋ฐฉ ๋ ํธ: ์ ํธ๋ฆฌํฐ ํฌํจ $850, ๋จ์๋ถ ํ์, (818) 642-8506
-๋ญ์บ์คํ 10 ์์ด์ปค ๋์ฅ ๋์๋ฆฌ: ์ผ์ฑ. ํ์ด ์ง์ ์ ์๋ ๋์ฅ, ์ $900 ๋ ํธ, ์ ๊ธฐ. ๋ฌผ ๋์ฌ ์ง๊ธฐ ์ข์ ์ํ ์๋น, ๊ด์ฌ ์๋ ๋ถ ์ฐ๋ฝ (661) 886-5539
-ํ๋๋ค: ์ค๋
ธ๋ณด๋ & ๋ถ์ธ ๊ฑฐ์ ์๊ฒ, $200, Sun Kim (818) 388-2167
-๋ฐฉ ๋ ํธ: ๋ง์ผ 6๋ถ, ์กฐ์ฉํ ํ์ฐ์ค, Mason & DeSoto, ์ฌ์๋ถ ์ํจ, ์ข์ ํํน, $780/์, (213) 254-8179 -๋ฐฉ ๋ ํธ: ๊ทธ๋ผ๋๋ค ํ์ค ์ง์ญ, ์๋ก ๊ฑด์ถํ ์ ํ ADU, ์๋์ธ, ์ ๊ธฐ์ธ, ์ธํ๊ธฐ, ๋์ฅ๊ณ , ๊ฐ์ค๋ ์ธ์ง, ์ธ ๋์
์ ๋ถ๋ค ํฌํจ, $1,500/์, (213) 393-8359
-๋ฐฉ ๋ ํธ: ํฌํฐ๋์น(Rinaldi+Reseda ์ฐ์ชฝ), ์พ์ ํ ๊ณ ์กฐ์ฉํ ์ฃผํ๊ฐ, CSUN, ๊ฐค๋ฌ๋ฆฌ์ 5-10๋ถ ๊ฑฐ๋ฆฌ, ํ ํน๊ฐ๋ฅ, ๊ฐ๊ตฌ ์๋น, No Smoking, No Pet, No Guest overnight. ์ฅ, ๋จ๊ธฐ ์
์ฃผํ์, $1.000/month (Wifi+์ ํธ ๋ฆฌํฐ ํฌํจ), Mrs. Lee (213)272-5926(๋ฉ์ธ์ง) -๋ฐฉ๋ ํธ : ๋ง์ผ 6๋ถ ๊ฑฐ๋ฆฌ(Mason+esoto), ํ์ฐ์ค ์กฐ์ฉ, ์ฌ์๋ถ ํ์, ๊ตฟ ํํน ์ $780, (213) 254-8179
-ํ์ฐ์ค ๋ ํธ: ๋จ์ธต์ง, ๋ฐฉ2 & ํ2, 1250sf, ๋ผ๊ตฌ๋ ์ฐ ์ฆ 55์ธ ์ด์ ์ปค๋ฎค๋ํฐ, 36ํ ๊ณจํ์ฅ, ์์์ฅ, ํ
๋์ค์ฝ ํธ, ์๊ถ, ์น๋ง์ฅ, HOA ํฌํจ $3000/์, (818) 428-8985
-ํฐ๋ฐฉ ๋ ํธ: ํฐ๋ฐฉ1 ํ์ฅ์ค1. ๋ฒ ๋๋ค. ๊ฐ๊ตฌ. ์นจ๋. ๋
์ฅ๊ณ . ์ท์ฅ. ์ธํฐ๋ท. ์บ๋
์ปจ์ธ๋ฆฌ. ์ ํธ๋ฆฌํฐํฌํจ $1100, (213) 479-9435
-๋ฐฉ๋ ํธ : 80๋ ๋ถ๋ถ๊ฐ ์ฌ๋ ํ์ดํ์ฐ์ค, ๊ฐค๋ฌ๋ฆฌ์๋ง
์ผ๊ณผ CSUN ์ค๊ฐ์ ์์น, ๋ฐฉ1, ํ1, ์ค์1, ์ ๋ง ์ฃผ๋ฌด์ค
์ฌ์๋ถ ํ์, ์ฐจ๊ณ ์์, ์ $850, ๋ฌธ์๋ก(Text)๋ง ๋ฌธ์
818-825-1965
-๋ฐฉ๋ ํธ: CSUN์ธ๊ทผ ์กฐ์ฉํ ์ฃผํ๊ฐ ๋
๋ฐฉ. ์ฌ๋ฌ ํธ์
์์ค ๊ฐ๊น๊ณ ๋ง๋ฃจ ๋ฐ๋ฅ, ๋งค์ฐ ๋ฐ๊ณ ๊นจ๋ํ ๋ฐฉ. ์ง์ฅ ๋จ
์ฑ์ด๋ ๋จํ์ ํ์. $770/์. (213) 500-4432 text
-๋ฐฉ ๋ ํธ: CSUN 2๋ถ ๊ฑฐ๋ฆฌ, ๊ทธ๋ผ๋๋ค ํ์ด์ค์ฟจ ์์ชฝ, ์ ํธ๋ฆฌํฐ ํฌํจ, ์ ๋ง ์ฃผ๋ฌด์ค๋ถ, $800/์, 213 500 8586
์ปค๋ฎค๋ํฐ ์๋ด
-LAKTC ํ
๋์ค ํด๋ฝ ํ์ ๋ชจ์ง: ๋งค์ฃผ ์์์ผ ๋ฐค7
์, ํ ์์ผ ๋ฐค 7์, ๋ฌธ์ (213) 268-6594
-๋ณผ๋ง ๊ด์ฌ ์์ผ์ ๋ถ: ๋ฐธ๋ฆฌ ํ์ธ๋ณผ๋ง๋ชจ์ Hanuri์์ ํจ๊ปํด์! ์ด๋ณด๋ถํฐ ๊ณ ์๊น์ง ๋๊ตฌ๋ ํ์ํฉ๋๋ค(๋ถ๋ถ, ์ฐ ์ธ ํ์), ์ฆ๊ฒ๊ฒ ์คํธ๋ ์ค ๋ ๋ฆฌ๊ณ , ํจ๊ป ์ฑ์ฅํ๋ ์ฐ๋ฆฌ! ๋งค
์ฃผ ์์์ผ, 8:30PM, Back Alley Bowling (9118 Balboa Blvd, Northridge, CA 91325) ์์ ์ ๊ธฐ๋ชจ์ ์งํ ์ค(818) 963-0831 -ํฌํฐ๋์น ํดํผํด ํผํด๋ณผ ํด๋ฝ ๋ชจ์: ๋งค์ฃผ ์, ํ 6:40 am ํฌํฐ๋์น ์ปค๋ฎค๋ํฐํ. ํ ๋ฒ๋ ์ ํด๋ณธ ์ฌ๋์ ์์ด๋ ํ
๋ฒ๋ง ์น ์ฌ๋์ ์๋ค๋ ์ฌ๋ฏธ์๋ ํผํด๋ณผ ํจ๊ป ํด์. ๋จ๋
๋
ธ์
ํ์ํฉ๋๋ค. ๋ฌธ์ (213) 550-9059 ์กฐ์์ ํ
-ํ์ดํน ๋ชจ์: ์๋ฏธ๋ฐธ๋ฆฌ ์ ํฌํฐ๋์น ์ง์ญ์์ ํ์ด ํน์ ๋งค์ฃผ ํ ์์ผ์ ํ์ค ๋ถ์ ์ฐ๋ฝ์ฃผ์ธ์. ์ด๋ฉ์ผ ์ฃผ์: T3479091532@GMAIL.COM
-์น์ํฐ ๋ฐฐ์ฐ์ค๋ถ (858) 342-0978
-์ฑ๊ธ ๋์ฑ ๋ชจ์ (1963๋
๋ถํฐ 1983๋
๊น์ง) ๋งค์ฃผ ํ ์ผ์์ผ ๋ชจ์์ด ์์ต๋๋ค. ์ด๋, ์ฌํ, ๊ทธ๋ฆฌ๊ณ ํ์ดํน๋ํ๋ฉฐ ์ข์ ์น๊ตฌ ์ ์ง๊ถ๋ ์ฐพ์๋ด์. (310) 739-9234 (๋ฌธ์ ๋จผ์ ๋ณด๋ด์ฃผ์ธ์)
-์ฌ๊ต์ถค ๋ํธํ: (213) 915-9970
-์ฐํํด๋ผ๋ฆฌํ ํ
๋์ค ๋ํธํ ํ์ ๋ชจ์ง: ์ฐํํด๋ผ
๋ฆฌํ ์ง์ญ์์ ํ
๋์ค๋ฅผ ์ฆ๊ธฐ์ค ๋ถ. Myung (Michael) Cho, michael.myung.cho@gmail.com
-๋
ธ๋๊ต์ค : ๋
ธ๋๋ฅผ ๋ฐฐ์ฐ๊ณ . ์ฆ๊ฒ๊ฒ ๋
ธ๋ํ๊ณ ์ถ์์ ๋ถ ๋๊ตฌ ๋ ํ์, ์ ๊ณก์ด๋ ๋ฐฐ์ฐ๊ณ ์ถ์ ๊ณก ๋๋ ๋ถ๋ฅด๊ณ ์ถ์ ๊ณก์ ์ ์ ํ ์๊ธฐ ๋
ธ๋๋ก ์ํ ์์ผ ๋๋ฆฝ๋๋ค. 213-216-0006, 818-727-1000
-์ฑ๊ธ ๋ชจ์: (818) 770-4298
-๋์ ๋ํธํ: ๋์๋ฅผ ์ฆ๊ธฐ๊ณ ์ถ์ ๋ถ ๋๊ตฌ๋ ํ์, ๋ฏผ ๋ฌผ๋์, ๋ฐฐํ๊ณ ๋๋ฏธ๋์ ๋ฑ ํจ๊ป ์ฆ๊ฒ๊ฒ ๋์๋ฅผ ์ฆ๊ธฐ์ธ์, (818) 831-9658 Mr. Lee
-๋ช
๊ณก์คํ๋ผ์์นด๋ฐ๋ฏธ ๋จ์ ๋ชจ์ง: (213) 605-5810
-๋ฌด๋ฃ ๊ธฐํ๊ต์ค: ๋ญ์บ์คํฐ ํ์ธ์ฅ๋ก๊ตํ์์ ์ด๋ณด์๋ฅผ ์ ํ ๊ธฐํ๊ต์ค์ ์คํ, ๋์: ์ฑ์ธ (661) 220-0848(ํฉ๋์ ๋ชฉ์ฌ) -๋ชฉ์์ผ์ ๊ณจํ์น์ค๋ถ ๋ชจ์ง์ ํฉ๋๋ค : (626) 993-5288 -ํ์๊ณจํ์ฌ๋ ํ์๋ชจ์ง : ๊ณจํ์ฌ๋ํ์๋ ๋ถ๋ค ์ด๋ํฉ ๋๋ค. Chong (626) 993-5288 (LA-Valley ์ง์ญ) -ํ
๋์ค ๋ํธ์ธ๋ชจ์ง: ๋ฐธ๋ฆฌ ํ
๋์ค ํด๋ฝ์์ USTA 4.0 ์ด์ ๋์๋ ํ
๋์ค ๋ํธ์ธ ๋ชจ์งํฉ๋๋ค. ๋ฌธ์) ํ๋ฆฝ ์ (818) 456-7737
-์ฌ์ง๊ฐ์ข ๋ฐ ์ฌ์ง ๋ํธํ :๋ฐธ๋ฆฌ์ง์ญ(213) 793-5500 -๋ฐธ๋ฆฌ 7080 ์์
๋ํธํ ํ์๋ชจ์ง : ๊ธฐํ์ ๋
ธ๋์ ์ทจ๋ฏธ ์์ผ์ ๋ถ ํ์, ๋ค๋ฆ ์
๊ธฐ๋ ์ข์, ๋ชจ์์ฅ์: ๋์ฑ ๋ถ๋ถ ๊ตํ, ์๊ฐ: ๋งค์ฃผ ํ ์์ผ 10์๋ฐ-12์๋ฐ, (213) 500-3689
-๊ณจํ์น์ ๋ชจ์ : Chon (323) 369-6018
-๋ฐ๋์ฆ๊ธฐ์ค ๋ถ: ๋๋ ๋ฐฐ์ฐ์ค ๋ถ ํ์, ์ ์ฌ์์ฌ ์ ๊ณต (818) 746-6088 -๋ํธํ์ ๋ชจ์ง: ๋จ๊ฐ์ง, ํผํธ, ๊ทธ๋ฆผ, ๊ฝ๊ฝ์ด, ํ์ดํน, ํฉ ์ฐฝ, ์ํ์์ด ๋ฑ ๋ค์ํ ํด๋์ค,๋ฌธ์: Grace Seo (661) 3739647, graceandboys@yahoo.com - ๋ฐธ๋ฆฌ ํ
๋์ค ๋ํธํ ๋ชจ์: ๋งค์ฃผ ํ , ์ผ ์ค์ 7์-9์ ๋ฐ ๊น์ง, ์ค๋ง El Cariso Reginal Park ํ
๋์ค์ฝํธ, ์ค๊ธ์ด์ ์ค๋ ฅ์ผ๋ก ์ฃผ๋ง ์์นจ ์ด๋ํ์ค๋ถ (818) 321-9561 Chan Shin
-์ ์กฑ๊ตฌ ํ์ ๋ชจ์ง: ์ง์ญ : ๋ฐธ๋ฆฌ, ๋ผํฌ๋ผ์ผํ, ์ ๋๋, ๋ฒ๋ฑ
ํฌ, ๊ธ๋ ๋ฐ์ผ, ์ฅ์ : ANC์จ๋๋ฆฌ ๊ตํ ์ฒด์ก๊ด, ๋งค์ฃผ ์์ ์ง์ญ : ๋ฐธ๋ฆฌ, ๋ผํฌ๋ผ์ผํ, ์ ๋๋, ๋ฒ๋ฑ
ํฌ, ๊ธ๋ ๋ฐ์ผ, ์ฅ์ : ANC์จ๋๋ฆฌ ๊ตํ ์ฒด์ก๊ด, ๋งค์ฃผ ์์์ผ ์ ๋
7:30~10:30, (714) 824-1006 valleymagazine@gmail.com
818-439-9289