



























































































































































































































*밸리매거진에서 제작한 모든 광고 디자인은 밸리매거진의 Written Permission없이
어떠한 용도로도 다른곳에 무단으로 사용될 수 없습니다.
*밸리매거진에 게재된 모든 광고는 광고주의 요청대로 게재한 것이므로 내용의
진위 여부에 대해 본사가 책임지지 않습니다.
*밸리매거진은 문제성있는 광고나 기사 게재를 거부할 수 있습니다.

데보라 홍 변호사
백동흠 힐링교회 담임목사
샤론 윤 변호사
소피아 양 부동산
수잔 김 베스트부동산대표
양 인 한양장로교회 임시목사
엔젤라 장 보험
윤미영 로즈몬트 치과원장
이상규 누스타 부동산
이준우 밸리커뮤니티교회 담임목사
이한주 보험
John Yang 옥스퍼드학원원장
조앤 홍 보험
지상문 독자
케빈 오 융자
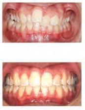
크리스토퍼 정 스마일어게인 치과원장 - 함께 만드신 분들 -













LA 메트로, 세풀베다 패스 통과
지하철 건설 승인
LA 메트로 이사회는 1월 22일 만장일치로 세풀
베다 패스를 통과하는 지하철 건설 프로젝트를
승인하여 로스앤젤레스의 두 주요 지역인 웨스
트사이드와 샌퍼낸도 밸리를 연결하는 최초의
대중교통망 구축의 발판을 마련했다.
현재 이 지역 주민들이 이동할 수 있는 유일한
방법은 캘리포니아에서 네 번째로 혼잡한 고속
도로인 405번 프리웨이를 통해 세풀베다 패스
를 지나는 것인데, 편도 이동에 60~90분이 소
요된다.
산타모니카 마운틴을 통과하는 이 지하철 노선 은 교통 체증이 심한 405번 프리웨이를 대체할
수 있는 대안이 될 것이다.
환경영향평가 보고서에 제시된 5개 노선 중 하
나인 '수정된 대안 5'가 최종 선정되었으며, 이 노선은 북쪽의 밴나이스 메트로링크 역에서 시
작하여 완전히 지하로 연결된다.
이 노선은 밴나이스 블러버드 아래로 약 14마
일 구간을 단일 터널로 지나 셔먼옥스와 벨에
어 인근 언덕 아래를 통과하여 남쪽 종착역인
메트로 E(엑스포) 라인의 세풀베다 역까지 이어 진다. 이 노선에는 G(오렌지) 라인, 벤츄라 블
러버드, UCLA 캠퍼스, 윌셔와 웨스트우드에 있 는 D(퍼플) 라인, 그리고 밴나이스에 건설될 예
정인 동부 샌퍼낸도 밸리 경전철 노선 정류장이 포함된다.
전 구간 이동 시간은 약 20분 이내로 예상된다.
405번 프리웨이 중앙분리대 또는 갓길을 따라 건설되는 고가 모노레일 옵션은 LA 메트로 이 사회에서 기각되었다. 샌퍼낸도 밸리의 고가 철
도 또한 기각되었다.
이 프로젝트는 하루 최대 12만 4천 명의 승객을
수송할 것으로 예상되는데, 이는 세풀베다 패스
를 통과하는 하루 차량 통행량 40만 대의 4분의
1을 조금 넘는 수치다.
승객이 최대치에 달할 경우, 이 지하철은 세풀
베다 패스를 통과하는 통근 시간을 약 50% 단
축할 것으로 추정된다.
현재 혼잡한 프리웨이로 인해 샌퍼난도 밸리 운
전자들은 연간 약 59시간을 허비하고 있다.
완공 예상 시기는 2033년에서 2036년 사이다.
메트로(Metro)는 이 프로젝트에 242억 달러가
소요될 것으로 추정하고 있지만, 일부에서는 그
보다 더 높은 금액을 예상하기도 한다.
메트로는 약 57억 달러를 확보해 두었으며, 나
머지는 연방 및 주 정부 보조금으로 충당해야 한다.









2026년 로스앤젤레스 전 지역 노숙자
실태 조사 진행 중, 시와 카운티는
역할과 자금 조달 방식 재검토
수천 명의 자원봉사자들이 로스앤젤레스 카운
티 전역의 거리로 나서 미국 최대 규모의 노숙
자 실태 조사에 착수했다.
매년 실시되는 이번 조사는 시와 카운티가 책임
과 자금 조달을 둘러싼 긴장 속에서 노숙자 문
제 관리 방식을 재편하는 가운데 진행되고 있
다. 로스앤젤레스 노숙자 서비스국(LAHSA)이
주도하는 2026년 ‘그레이터 로스앤젤레스 노
숙자 실태 조사’는 자체 조사를 실시하는 롱비 치, 글렌데일, 패서디나를 제외한 로스앤젤레스
카운티 거의 전역에서 진행된다.
연방 정부의 요구에 따라 실시되는 이번 실태
조사는 수억 달러에 달하는 주 및 연방 정부 자 금이 쉼터, 주택 및 서비스에 어떻게 배분될지
결정하는 데 도움이 된다.
올해 조사는 로스앤젤레스 카운티가 새로운 노 숙자 전담 부서를 공식적으로 출범시키는 시점 에 이루어졌다. 이는 주요 자금, 인력 및 계약
권한이 LAHSA에서 새로운 부서로 이전되는
변화이며, 지역 사회가 노숙자 문제에 대응하는
방식에 있어 잠재적인 전환점이 될 수 있다.
이러한 변화는 시와 카운티 간의 서로 다른 방
향을 드러냈고, 책임, 데이터 정확성, 그리고 심
화되는 예산 압박 속에서 오랫동안 유지되어 온
공동 시스템이 유지될 수 있을지에 대한 새로운
질문을 제기했다.
LA카운티 리더들은 지난해 LAHSA의 재정 관
행에서 결함이 발견되고 서비스 제공업체에 대 한 비용 지급이 지연되었다는 감사 결과를 인용
하며, LAHSA에서 수억 달러를 회수하여 새로
운 카운티 운영 노숙자 전담 부서를 설립할 것
이라고 발표했다.
카운티 수퍼바이저 위원회가 발표한 감사 보고
서는 시와 카운티 공동 기관인 LAHSA의 취약
한 재정 통제 및 감독을 비판했다.
수퍼바이저들은 감사 결과가 구조적인 변화를
요구한다고 밝혔다.
LAHSA는 감사 결과의 상당 부분을 반박했지
만, 투명성, 데이터 품질 및 재정 감독을 개선하
기 위한 조치를 취하고 있다고 밝혔다.
전 CEO인 바 레시아 애덤스 켈럼은 카운티가
LAHSA에서 대부분의 자금과 인력을 이전할
것이라고 확인한 직후인 4월에 사임했다.




“3대가

밸리대한 노인회에서는 지난 12월을 무척 바쁜일정과 함께 새로운 프
로그램을 많이 경험 하며 보냈다.
늘 행사때마다 지역사회의 어르신들을위주로 추진해오던 “ 송년 음
악회”를 중심으로 이어지는 프로그램마다 흥이넘치고 기쁨가운데 보
낼수있었으니 뜻깊은 행사 였음을 다시한번 경험케 하였다.
무엇보다도 어르신들이 함께하는자리를 더욱훈훈하게 만들었던것은
그엣날을 회상하며 마음껏 열창을 할수있었던 노래자랑시간을 빼놓을

한해를 마감하며 아쉬웠던 시간들을 함께 보내 는 " 송년잔치" 그 자리에 남 녀 모두 가장 아름다운 옷차림으로 모여 모두가 한마음 으로 서로에게 소망의 새해를기대하며 높이 올려든 "Apple Cider " 잔에 는 행복함이 듬쁙담긴 아름다운 추억의 시간이기도 했다. 이렇듯 새로 운경험을 많이하면서 보낸 12월에이어 새롭게 시작된 2026년 새해에 도 어김없이 찾아오는 "정월대보름" 행사를 소개한다.






해마다 노인회 새해의 첫 행사를 시작하는 “ 민속놀이 “ 이자 유일
하게 3대가 한자리에서 즐기는 “ 윷놀이 “ 마당에 여러분들을 초대 합니다. ***** 정월대보름 행사 *****
날자 : 2월 28일 ( 토 ) 장소 : 밸리 대한 노인회 잔디밭
신청문의 : 최미란 회장 / 818-700-8550















“앉아서 따라만 부르시겠습니까, 무대 위 주인공이 되시겠습니까?”
“사라 힐링 노래교실”, 노래로 활기차고 행복한 삶을 위해 부담 없이
한 번 방문해 보자!
희망찬 새해가 밝았다. 새해를 맞아 마음의 스트레스를 내려놓고, 가슴
뻥 뚫리는 시원한 노래로 일상에 활력을 더해보는 건 어떨까.
노래를 통해 힐링과 즐거움을 전하는 ‘사라 힐링 노래교실’이 새해
를 맞아 수강생을 모집하며 따뜻한 초대의 문을 열었다.




힐링 노래교실은 단순히 노래를 따라 부르는 공간이 아니라, 각자 의 목소리가 주인공이 되는 무대를 경험할 수 있는 곳이다. 이곳에서는
요즘 대세인 트로트와 발라드를 중심으로 한 전문가요 교육이 이루어
지며, 초보자부터 노래를 좋아하는 누구나 부담 없이 참여할 수 있다. “앉아서 따라만 부르시겠습니까, 무대 위 주인공이 되시겠습니까?”
노래 실력뿐 아니라 ‘가수의 기분’을 느끼게 해주는 특별한 수업 분
위기가 큰 장점이다. 현재 월·화·금 오전 11시부터 12시까지 시니어








오전반이 운영 중이며, 시니어 수강생에게는 50% 특별 할인 혜택이 제 공된다. 또한 화요일 오후 2시부터 4시까지는 오후반도 모집 중이다.

노래 지도는 풍부한 경험을 갖춘 사라
김 노래 지도자가 맡아, 즐겁고 편안한
분위기 속에서 개개인의 목소리에 맞
춘 지도를 진행하며, 노래를 사랑하는
사람들이 모여 웃고, 배우고, 함께 노
래하며 자연스럽게 건강과 자신감을
회복하는 공간이 바로 사라 힐링 노래
교실이다.
새해에도 건강하게, 즐겁게 노래하며
삶의 에너지를 채우고 싶은 이들에게
“사라 힐링 노래교실”은 더없이 행복한 선택지가 될 것이다. 당신의
목소리가 조명을 만나는 곳, 사라 힐링 노래교실 부담 없이 한 번 방문
해 보길 권한다.
장소: 8700 Reseda Blvd. #103-A, Northridge, CA 91324
(Reseda Blvd. & Gresham St. / 밸리노인회 건너편 2층 건물)이며, 넓은
주차 공간이 마련되어 있고 노래교실 입구는 건물 뒤편에 위치해 있다.
문의: (213) 216-0006, (818) 263-4991, (818) 307-6595
‘My 루비스킨케어’ $290 Sonocare 물방울 리프팅을
$149로 반값에 드린다.

기능성 스킨케어 전문 클리닉 ‘마이 루비스 킨케어’가 2월을 맞아 다양한 스킨케어 프 로그램과 특별 프로모션을 선보이고 있다. 마 이 루비스킨케어는 물방울 리프팅과 소노케어 (Sonocare) 등 최신 장비를 활용한 리프팅·주 름 관리·피부 재생·여드름 케어를 전문으로
하며, 개인별 피부 타입에 맞춘, 맞춤 관리로 꾸준한 호응을 얻고 있다.
특히 소노케어 4D 타이팅 관리 프로그램은 피부 재생, 보습, 탄력, 홍조
완화, 붓기 개선 등 복합적인 피부 개선 효과를 기대할 수 있는 관리로
주목받고 있는데, 이번 2월 스페셜로는 $290 Sonocare 물방울리프팅을
$149 로 반값에 드린다. 그리고 가족이나 지인에게 선물할 수 있는 기 프트 카드 프로모션이 함께 진행되며, 처음 방문하는 고객을 위한 체험 가 이벤트도 마련됐다. 마이 루비스킨케어는 전문 관리와 체계적인 프 로그램으로 건강하고 탄력 있는 피부를 되찾을 수 있도록 돕고 있다. 또 한 평일과 토요일까지 운영해 직장인들도 편리하게 이용할 수 있다. 발 렌타인데이가 있는 2월에 특별한 날을 위해 빛나는 피부관리는 루비스 킨케어에서 시작하자. 예약: 818-360-0050 / 213-703-5878




















수아 힐링 공연단은 예술을 통해 위로와 희망을 전하는 성심 봉사 단체 로, 지난 10여 년이 넘는 시


간 동안 스튜디오에서 꾸준
히 작품을 연마하며 활동을
이어오고 있다. 이들은 단
순한 공연 단체를 넘어, 필
요로 하는 곳이라면 어디든
찾아가는 이동형 위문 공연
사역으로 한인 사회에 따뜻 한 감동을 전해오고 있다.
수아 힐링 공연단은 병원,
보건센터, 교회 행사 등은
물론, 한인 사회의 소외된
이웃과 약자를 찾아가 정성
어린 위문 공연과 봉사 활
동을 펼치고 있다. 연락이
오는 곳이라면 언제든 기꺼
이 발걸음을 옮기며, 공연 하나하나에 섬김의 마음을 담아 무대를 준비
하는 것이 이 단체의 가장 큰 특징이다.
한국 전통 음악과 무용을 중심으로 구성된 수아 힐링 공연단의 무대는
관객들에게 단순한 볼거리를 넘어 마음을 어루만지는 치유의 시간을
선사한다. 특히 어르신들과 환우, 외로운 이웃들에게는 공연이 잠시나
마 일상의 고단함을 잊게 해주는 소중한 위로가 되고 있다.
이 단체는 공연 실력 향상에도 결코 소홀함이 없다.
오랜 시간 스튜디오에서 작품을 다듬고 연습을 거듭하며, 어디서 공연
을 하든 행사의 품격을 높이는 완성도 높은 무대를 선보이기 위해 끊임
없이 노력하고 있다.
수아 힐링 공연단 관계자는“하나님께서 주신 각자의 작은 재능을 모 아, 공연을 통해 사랑과 나눔을 전하는 것이 우리의 사명”이라며“앞
으로도 필요한 곳이라면 어디든 찾아가 따뜻한 마음을 전하고 싶다”
고 전했다.
예술로 섬기고, 공연으로 치유를 전하는 수아 힐링 공연단. 이들의 꾸준 한 위문 공연 사역은 오늘도 조용하지만 깊은 울림으로 지역 사회를 밝 히고 있다. 문의: (805) 890-4333











연간 증여세 면제 한도 (Annual Gift Exemption)
수혜자 1인당 연간 증여세 면제 한도는 19,000달러로 유지됩니다. 예:
손주가 7명이고 올해 각 손주에게 19,000달러씩 증여하기로 결정했다
면, 총 133,000달러를 증여하더라도 해당 증여에 대해 증여세 신고서를
제출할 필요가 없습니다. 또한, 기혼인 경우 배우자와 함께 이 금액을
두 배로 늘릴 수 있습니다. 그러나 특정 수혜자에게 연간 19,000달러를
초과하는 금액을 증여하는 경우, Form 709를 사용하여 증여세 신고서
를 제출해야 합니다.
개인에게 19,000달러를 초과하는 증여는 연방 상속세 면제 한도를 감
소시킵니다(아래 참조).
예: 아버지가 아들에게 1,000만 달러를 증여하고 2026년에 사망하는
경우, 상속세 면제 한도 잔액은 500만 달러가 됩니다.
연방 상속세 면제 한도 (Federal Estate Tax Exemption)
IRS는 2026년 공식 상속세 및 증여세 면제 한도가 개인당 1,500만 달러
로, 2025년의 1,399만 달러에서 증가했다고 발표했습니다. 이는 개인이
상속인에게 1,500만 달러를 남겨도 연방 상속세 또는 증여세를 납부하
지 않아도 되며, 기혼 부부는 3,000만 달러까지 면제받을 수 있다는 의 미입니다. 기혼 부부의 경우 이 금액은 자동으로 적용되는 것은 아닙니다.

상속세 면제 한도 이전(Portability).
기혼 부부는 ‘상속세 면제 한도 이전(Portability)’ 제도를 활용하여
면제 한도를 두 배로 늘릴 수 있습니다. 상속세 면제 한도 이전 제도를 통해 기혼 부부는 세금이 발생하지 않더라도 Form 706 상속세 신고서
를 제출하여 사망한 배우자의 미사용 면제 한도를 사용할 수 있습니다. 이 신고서는 사망 후 9개월 이내에 제출해야 하며, 6개월 자동 연장이 가능합니다.
메디칼 장기요양 자산기준(Medi-Cal Resource Rate for Long Term Care). 2026년 특별 공지
장기 요양을 위한 메디칼 자격을 얻으려면 신청자는 다른 자격 요건 외
에도 개인의 경우 13만 달러, 부부의 경우 19만 5천 달러의 자산제한 기
준을 충족해야 합니다.
부부 중 한 명만 요양 시설에 입소해야 하는 경우, 메디칼(Medi-Cal)을
신청하지 않는 배우자는 최대 162,660달러까지 재산을 보유할 수 있습
니다. (Cahnr.org 참조)
신탁 설정이나 상속 관련 문제에 대해 상담을 원하시면 샤론 윤 변호사
에게 연락하십시오. 샤론 윤 변호사는 상속 계획, 신탁 및 유언 검인법
분야에서 몇 안 되는 공인 전문가 중 한 명입니다. (805-298-0405)





명품 피부관리 솔루션,‘럭스 스킨케어’


건조한 날씨로 피부 고
민이 깊어지는 계절,
‘럭스 스킨케어’가 최
첨단 장비와 차별화된 프로그램으로 주목을 받
고 있다.
럭스 스킨케어는 단순히
겉면을 가꾸는 것에 그
치지 않고, 피부 본연의 자생력을 높이는 ‘피부 재생 전문’ 센터로서
입지를 굳히고 있는데, 가장 큰 강점은 고급 독일제 제품과 최신 전문
장비를 결합한 개인별 맞춤 관리이며, 피부 타입이 사람마다 다르기에,
럭스 스킨케어에서는 철저한 분석을 통해 가장 효과적인 솔루션을 제
안한다.
현재 럭스 스킨케어는 고객들의 다양한 니즈를 충족시키기 위해 다음
과 같은 특화 프로그램을 파격적인 할인가에 제공하고 있는데 특별히
다가오는 밸런타인데이를 맞아 파격적인 프로모션을 선보인다. 스킨케
어 스페셜 기프트 카드를 정가에서 30% 할인(*Promotion 가격은 제외)
된 가격에 판매하여, 연인이나 가족에게 건강한 아름다움을 선물할 수
있는 최적의 기회를 제공한다.
또한, 처음 방문하는 고객을 위해 일반 피부 관리 및 럭스 피부 재생 관
리 특별가 이벤트를 진행 중이어서, 부담 없는 가격으로 프리미엄 서비
스를 경험해 볼 수 있다.
한편, 럭스 스킨케어 내에는 1996년부터 명성을 이어온 ‘루비신 반영
구 화장(Ruby Shin Semi-Permanent Makeup)’이 함께 자리하고 있다.
4D 입체 자연 눈썹부터 아이라인, 입술 문신은 물론 최근 수요가 급증
하고 있는 두피 문신(SMP)까지 전문가의 손길로 만나볼 수 있다. 반영
구 화장 프로모션으로 65세 이상 시니어 고객에게 $50 추가 할인 혜택
도 제공한다.
주소: 9514 Reseda Blvd #13, Northridge, CA 91324
예약 및 문의: 818-836-0016 (스킨케어)
818-267-6006 (반영구 화장)
웹사이트: www.luxe-skincare.com




2026년
데보라 K. 홍 변호사 310-560-3873
1. 음주운전 위반자에 대한 의무적 시동 잠금장치(IID) 설치
캘리포니아 주하원법안 AB 366
2026년 1월 1일부터 캘리포니아주는 음주운전으로 유죄 판결을 받은 사람들을 대상으로 ‘시동 잠금장치(IID)’ 프로그램의 적용 범위를 확 대했습니다. 모든 음주운전 위반자는 운전하는 모든 차량에 시동 잠금
장치(IID)를 설치해야 할 수 있습니다. IID는 음주 여부를 감지하여 알코
올이 검출될 경우 차량 시동을 걸 수 없도록 하는 장치입니다. 이 프로
그램은 2033년 1월 1일까지 연장됩니다.
주요 내용:
이 법안은 상습 음주운전 위반자 및 특정 상해 관련 음주운전 사건뿐만
아니라, 초범을 포함한 많은 음주운전 유죄 판결 사례에까지 적용 범위
를 확대합니다.
규정 미준수(IID 설치 또는 사용 의무 불이행) 시 최대 5,000달러의 벌
금, 최대 6개월의 징역형 또는 두 가지 모두에 처해질 수 있습니다.
참고: IID 설치가 의무화되는 정확한 상황은 사건의 구체적인 내용과 법
원 명령에 따라 달라질 수 있습니다 (또한 AB 1546 법안은 현재 음주운 전 형량 개혁을 위해 검토 중입니다). 귀하의 상황에 대한 자세한 안내
를 원하시면 저에게 연락하여 무료 상담을 받으세요.
기간 연장


캘리포니아 주하원법안 AB 1087
2026년 1월 1일부터 음주 상태에서 차량 과실치사 또는 중과실 차량
과실치사로 유죄 판결을 받은 경우 보호관찰 기간이 연장됩니다.
기존에는 보호관찰 기간이 2년이었지만, 이제는 3년에서 5년으로 늘어
납니다.
주요 내용:
보호관찰관의 감독 기간 연장 더 많은 조건 및 감시 강화
연장된 보호관찰 기간 중 위반 시 징역형 가능성 증가
3. 기타 음주운전/운전 안전 관련 변경 사항
엄밀히 말하면 음주운전 처벌은 아니지만, 2026년에 시행되는 몇 가지 교통 법규는 운전자와 단속 환경에 영향을 미칠 수 있습니다.
자동 단속 확대
지방 정부는 신호 위반 및 기타 교통 법규 위반 단속을 위해 카메라를 사용할 수 있습니다(SB 720). 이는 민사 위반이지만 경찰관이 없더라도

벌금이 부과될 수 있습니다.
"차선 변경/감속" 법률 확대
이제 운전자는 도로에 비상등을 켜고 정차해 있는 모든 차량(경찰차/캘
리포니아 교통국 차량뿐만 아니라)에 대해 속도를 줄이고 안전하게 차
선을 변경해야 합니다.
번호판 위조/변조 처벌 강화
번호판을 가리거나 변조하는 장치를 제조 또는 판매하는 행위는 최대
1,000달러의 벌금이 부과되는 경범죄입니다.
음주운전 및 운전 관련 기타 사항 혈중 알코올 농도(BAC) 법적 기준치는 변경되지 않았습니다.
일반 운전자 : 0.08%, 상업용 차량 운전자: 0.04%, 21세 미만 운전자: 0.01%
중요한 실질적 영향
* 음주운전 단속 기술 강화: 음주운전 방지 장치(IID)는 이제 음주운전 처벌 및 면허 복원의 핵심 요소입니다.
* 심각한 음주운전 사고에 대한 보호관찰 기간 연장: 음주운전으로 인 한 사망 사고 유죄 판결 후 감독이 강화됩니다.
* 교통 단속 현대화: 자동화 시스템과 차선/속도 제한 규정은 충돌 및 위 험한 운전 행위를 줄이는 것을 목표로 합니다.
음주 또는 약물 복용 후 운전에 대한 법률은 더욱 엄격해지고 처벌도 강
화되고 있습니다. 가능한 한 빨리 경험이 풍부하고 사려 깊은 변호사에
게 연락하는 것이 매우 중요합니다.
음주운전 혐의로 기소된 후에는 여러 단계를 거쳐야 합니다. DMV 및 행정 심리 절차를 처리하고, 면허를 되찾고, 피해를 최소화하고, 검사와 판사를 상대해야 합니다.
무료 상담을 위해 저희 사무실로 연락주세요. 310-560-3873













집을 먼저 사고, 천천히 파는
전략
모기지 전문가, 케빈 오 NMLS# 1985037
■ Buy-Before-You-Sell(BBYS)과 Bridge Loan으로 Cash Offer를 만드는 방법 ■
주택 시장이 여전히 경쟁적인 상황에서 많은
분들이 같은 고민을 합니다.
“지금 집을 팔아야 하나, 아니면 새 집부터
사야 하나?”특히 업그레이드를 고려하는 기
존 주택 소유자라면, 집을 먼저 팔아야 새 집
을 살 수 있다는 부담 때문에 좋은 기회를 놓치는 경우도 적지 않습니
다. 이런 상황에서 최근 다시 주목받고 있는 전략이 바로 BBYS(BuyBefore-You-Sell) 입니다. BBYS는 말 그대로 현재 집을 팔기 전에 새 집
을 먼저 구입하는 전략입니다. 이 방식의 핵심은 타이밍입니다.
집을 팔고 나서 구매를 시도하면, 시장 상황에 따라 원하는 집을 놓치거
나 임시 거주 문제에 직면할 수 있습니다. 반면 BBYS 전략을 활용하면
이사 일정과 구매 협상에서 훨씬 유리한 위치를 차지할 수 있습니다.
BBYS가 필요한 이유
실제 거래 현장에서 셀러가 가장 선호하는 바이어는 단연 Cash Offer입 니다. 대출 승인 여부, 감정(Appraisal), 셀러 크레딧 협상 등 여러 변수가







줄어들기 때문입니다. 기존 주택을 아직 보유한 상태에서는 이런 조건 을 만들기 어렵다고 생각하는 분들이 많지만, 금융 구조를 잘 활용하면
충분히 가능합니다.
BBYS 전략은 단순한 “선구매”가 아니라, 금융 도구를 활용해 구매 력을 극대화하는 방식입니다. 그 중심에 바로 Cross-Collateral Bridge
Loan이 있습니다.
Cross-Collateral Bridge Loan이란?
Bridge Loan은 말 그대로 ‘다리 역할’을 하는 단기 금융 상품입니다.
기존 주택과 새로 구매할 주택을 함께 담보(Cross-Collateral) 로 설정하
여, 새 집 구매에 필요한 자금을 일시적으로 확보하는 구조입니다.
쉽게 설명하면, 현재 보유한 집의 에퀴티를 활용해 새 집을 사실상 현금 에 가까운 조건으로 먼저 구입하고, 이후 기존 주택을 매각하여 Bridge
Loan을 상환하는 방식입니다.
이 과정에서 기존 주택이 팔릴 때까지 시간을 벌 수 있고, 급하게 가격 을 낮출 필요도 줄어듭니다.










Business News
Cash Offer를 만드는 구조
이 프로그램의 가장 큰 장점은 오퍼 경쟁력입니다. Bridge Loan을 활용
하면 ● Purchase Contingency 없이 오퍼 가능
● Appraisal 조건을 최소화하거나 제거 ● 빠른 클로징 제안 가능
즉, 셀러 입장에서는 Cash Offer와 거의 동일한 안정성을 느끼게 됩니
다. 실제로 비슷한 가격대의 오퍼가 여러 개 들어왔을 때, 셀러는 조건
이 깔끔한 오퍼를 선택하는 경우가 많습니다. 이때 BBYS 구조는 가격
을 무리하게 올리지 않고도 딜을 성사시키는 강력한 무기가 됩니다.
이런 분들께 특히 적합합니다.
● 이미 집을 소유하고 있고, 업그레이드를 고려 중인 분
● 자녀 학군이나 직장 이동으로 이사 시점이 중요한 경우
● 좋은 매물이 나오면 바로 잡고 싶은 분
● 집을 급하게 팔고 싶지 않은 분
특히 한인 커뮤니티에서는 “집 두 채를 동시에 갖는 게 위험하지 않
나?”라는 질문을 많이 받습니다. 하지만 BBYS는 무작정 리스크를 지
는 전략이 아니라, 에퀴티와 자금 흐름을 계산해 설계하는 구조적인 전
략입니다.
반드시 전문가 설계가 필요한 이유 BBYS와 Bridge Loan은 모든 상황에 자동으로 적용되는 프로그램이 아 닙니다.
● 현재 주택의 에퀴티 ● 크레딧 상태
● 소득 구조 ● 지역별 시장 상황
● 기존 모기지 조건 이 요소들을 함께 분석해야 안전하고 효과적인 구조를 만들 수 있습니 다. 단순히 “가능하다”는 말만 듣고 접근하면 예상치 못한 부담이 생
길 수 있기 때문에, 사전에 숫자로 시뮬레이션하는 과정이 필수입니다.
마무리하며
좋은 집을 사는 것도 중요하지만, 어떤 구조로 사느냐는 그보다 더 중요
할 수 있습니다. BBYS와 Cross-Collateral Bridge Loan은 준비된 분들
께는 매우 강력한 전략이 될 수 있으며, 특히 경쟁이 치열한 시장에서는
Cash Offer에 준하는 협상력을 만들어 줍니다.
현재 집을 보유한 상태에서 다음 단계의 주택을 고민하고 있다면, “팔 고 나서 생각하자”보다는 지금 구조를 한 번 점검해보는 것이 훨씬 현
명한 선택일 수 있습니다. 전략이 명확해지면, 기회는 훨씬 빠르게 잡을 수 있습니다.
소유한 주택을 팔고 새로운 주택구입을 준비 중이라면 전문가의
받아서 진행하는게 현명합니다.
문의) 모기지 전문가, 케빈 오 T.213-219-2688






“AEP 때 잘못된 선택을 했다면?”

제공 엔젤라 장 보험 (323-707-4242, 213-908-5100)
이제 새해 2026년도가 시작되면서 메디케어 수혜자들은 작년 연례 가
입 기간 때 변경한 새로운 회사의 보험 카드도 받고 사용을 하고 있을 것이다. 하지만 막상 바꿔 놓고 보니 본인이 생각했던 것보다 좋지 않 거나, 잘못 이해해서 변경했다는 생각이 드는 경우가 많다.
많은 분들이 1년에 한 번만 보험을 변경할 수 있다고 생각해서 연례 가
입 기간 때에 변경했으면 같은 해에는 더 이상 바꿀 수 없다고 생각하
지만, 결코 그렇지 않다.
원래 처음에는 10월 15일에서 12월 7일인 연례 가입 기간 밖에 변경 할
수 있는 기회가 주어 졌었지만, 2019년도에 Open Enrollment Period가
다시 생기면서 시니어 분들이 보험을 바꿀 수 있는 기회가 한 번 더 생 기게 되었다.
이 Open Enrollment Period는 매년 1월1일에서 3월 31일까지 진행
되며, 이 기간 때에 보험을 바꿀 수 있는 수혜자들은 현재 Medicare Advantage, 또는 파트 C를 갖고 있는 사람들만 해당 된다. 그래서
Medi-Gap 이나 오리지널 메디케어와 메디칼 만을 갖고 있는 경우엔
이 가입기간을 사용할 수 없게 된다.
그러나 일단 본인이 메디케어만 갖고 있고, Medicare Advantage 플랜을 가지고 있다면 이 기간에 한 번의 플랜 변경이 가능하다.
변경 기간은 1월에서 3월까지인데, 변경을 하게 되면 시작일은 본인이
변경한 달의 다음달 1일이 된다.
예를 들어서 본인이 플랜을 2월 13일에 변경을 했다면, 다음달 1일인 3 월 1일부터 새로운 플랜으로 변경되게 된다.













그리고 만약 메디케어와 메디칼을 둘 다 갖고 있다면, 앞에 설명한 메
디케어만 갖고 있는 수혜자와 마찬가지로 메디-메디이면서 Medicare
Advantage 플랜을 갖고 있을 경우, 다른 플랜으로 변경이 가능하며 또
는 다시 오리지널 메디케어와 메디칼로 돌아가는 것도 가능하다.
하지만 많은 메디-메디 수혜자 분들이 착각하는 것이, 본인은 메디케
어와 메디칼이 둘 다 있기 때문에 언제든지 변경이 가능하다고 생각하
는 것이다.
몇 년 전 까지만 해도 그것이 사실이었으나, 최근 2- 3년 사이에 많은
법이 바뀌었고 그로 인해 본인이 메디케어와 메디칼을 갖고 있더라도
본인이 해당하는 가입 기간이 없다면 보험 플랜을 변경 할 수 없다. 그

래서 변경을 원한다면 어떤 가입기간에 해당하는지 알아보는 것이 중








2026년 1월1일부터 캘리포니아에서는 65세이상 시니어 메디칼에 대한
자산한도 제한 제도가 다시 도입될 예정이며 다음과 같은 자산기준이
제시됩니다.
개인은 $130,000불, 부부는 $195,000불 이하로 제한하며Non-Magi Medi-Cal 프로그램에 해당 적용되고 자산 면제 항목들 (부동산, 자동
차, 기간성 생명보험등 )은 이전 규정과 유사하게 유지될 예정입니다.
현 시점에서 새롭게 메디칼을 신청을 원하시는 분들은 위 사항에 적용 되며 오버된 자산들이 있다면 자산배분 조치후 신청하실 수 있고 기존
메디칼 가입자들의 자격상실여부는 정기적으로 받으시는 메
디칼 갱신 서류에 자산의 증빙서류를 보내게되어 자격여부
가 결정되는데 현재 제시된 위의 자산 상한선 기준보다 자산이 오버
될 경우 현재의 메디칼을 그대로 유지하고 싶으시다면 갱신 서류를 받
기 이전에 아래와 같은 조치를 하시도록 권장드립니다.
현재 은행CD및 예금, SAVING적금,주식,투자등을 모두 특
정 퇴직 연금계좌로 전환하여 정기분배 조치하고 기존 인컴
과 연계하여 가감 조치를 하여 메디칼을 유지할 수 있도록 2026년 시니어

해야합니다. 예를 들어 현재 SSA인컴이 매달 $1450불을 받으시고 은 행CD나 자산을 합쳐 총 $23만불을 갖고계시다면 자산제한 한도인 $13
만불은 그대로 유지하시고 나머지 $10만불은 특정 은퇴계좌로
들어가서 4%이자의 정기배분 조치를 취한다면 월 $350불 을 받게되어 이때 인컴은 총 $1,800불로 합산되어 메디칼
자격을 유지할 수가 있습니다.
자세한 내용은 저희 KCSS로 연락주시면 위와 같은 방법으로 자산 관
리, 인컴관리에 대한 조언과 실행을 해드려 문제없이 자격유지를 하실
수 있도록 도움을 드립니다 .
특히 KCSS에서는 현재 인컴이 자격기준에 오버된 분, 또
는 Share Of Cost (자가분담금) 메디칼을 갖고계신 분 에게는 초과된 소득만큼 덴탈보험,
메디칼을 받을 수 있도록 도와드리고 있습니다. 연락처는 KCSS 시니어써비스로 언제든 문의 하시면 성의껏 상담해 드 립니다. 213-220-6620, 323-628-5376







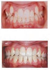
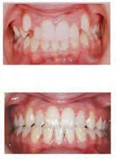
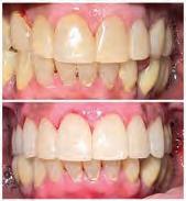
Christopher Chung, DMD
Smile Again Dental Group 818-776-9300
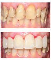
입 냄새는 단순한 위생 문제라고 생각하기 쉽지만 실제로는 구강 건강
상태를 알려주는 중요한 신호일 수 있습니다.
많은 분들이 양치를 열심히 해도 입 냄새가 사라지지 않는다고 느끼는
데, 그 이유는 대부분 원인이 치아 표면이 아닌 잇몸 속에 있기 때문입 니다.

입 냄새의 대부분은 구강 내에 서 발생합니다. 특히 치주염이
나 잇몸염이 있는 경우 잇몸
속 세균이 분해 과정에서 황 화합물을 생성하게 되고, 이것 이 불쾌한 냄새의 주원인이 됩
니다.
눈에 보이지 않는 잇몸 아래
치석, 혀 표면에 쌓인 백태, 오 래된 보철물 주변에 끼는 음식
물, 충치 또한 입 냄새를 악화시키는 주요 요인입니다.
여기에 구강 건조증이 동반되면 침의 자정 작용이 줄어들어 냄새가 더
심해질 수 있습니다.
이를 하루에 여러 번 닦아도 입 냄새가 나는 경우가 있습니다. 이런 경
우 단순한 칫솔질만으로는 해결이 어렵습니다.
칫솔은 잇몸 위의 치태만 제거할 수 있을 뿐, 잇몸 아래 깊숙한 곳에 자
리 잡은 치석과 세균까지 제거하지는 못합니다. 또한 혀 클리닝이 제대
로 이루어지지 않은 경우에도 입 냄새는 지속될 수 있습니다.
치과에서는 입 냄새를 가리는 것이 아니라 근본적인 원인을 제거하는
치료를 시행합니다.
스케일링을 통해 잇몸 위와 아래의 치석을 제거하고, 필요할 경우 치근
활택술을 통해 깊은 잇몸 포켓 내부의 세균을 정리합니다.
동시에 올바른 혀 세정 방법을 안내하고, 구강 건조 여부를 평가하여 필
요한 관리 방법을 제시합니다. 이러한 치료 후 많은 분들이 아침 입 냄
새가 줄고 마스크 안에서 느껴지던 불쾌감이 사라졌다고 말씀하십니 다.
치과 치료와 함께 일상적인 관리도 중요합니다. 혀 클리너를 이용해 혀 표면을 부드럽게 닦아주고, 치실이나 치간칫솔을 매일 사용하는 것이 도움이 됩니다.
물을 자주 마셔 입안을 촉촉하게 유지하고, 필요할 경우 무설탕 껌을 이 입 냄새 혹시 잇몸
용해 침 분비를 촉진하는 것도 좋
습니다.
구강 청결제는 보조적인 수단으로
사용하는 것이 바람직하며, 강한
향으로 냄새를 덮으려는 방식은
근본적인 해결책이 될 수 없습니다.

입 냄새는 숨겨야 할 문제가 아니라 관리하면 충분히 개선될 수 있는 증
상입니다. 오히려 방치할 경우 잇몸병이 진행되어 치아를 잃을 가능성
도 높아집니다.
입 냄새가 신경 쓰인다면 단순한 양치 문제로 넘기지 말고 치과 검진을
통해 정확한 원인을 확인하는 것이 중요합니다. 전문적인 진단과 치료
를 통해 보다 건강하고 상쾌한 구강 상태를 유지하시길 바랍니다.




메디케어 전문 상담가 조앤 홍이 알려드립니다. 문의 : 조앤홍 (818) 606-9486

트레스를 주고 있어요~.
그래도 여러분~스트레스
그만 받고 현명하게 지나
가시기 바래요~ 씩씩하게
“파이팅” !!!
2025년 AEP 변경기간 동안, 전에 없이 많은
손님들이 3개의 보험회사로 변경했어요. 그
래서 2026년 1월은 에이전트들이 많이 힘들
것이라고 기대 했는데 기대이상으로 3개의
보험회사가 손님들, 에이전트들에게 현재 스

2월에 매주 토요일 노스리지 갤러리아 마켓에 (오후 12시-4:00 시)
있읍니다.
궁금 한점 있으면 들러서 물어보세요~-2월에는 클레버케어 보상금
$45을 받을 수 있어요. 서류 가져오는분께 서류 작성 도와 드려요 .
*** 1월에 가장 많이 받은 질문 1. 보험 아이디 카드 ***
질문 1) 1월 15일 인데 OTC 카드 (데빗카드)는 12월에 왔지만
보험 ID 카드가 아직도 안 와서 의사에게 못가고 있어요.
에이전트에게 전화해도 기다리라고만 합니다.
다른 방법이 있나요?
답) 어떤 분은 반대로 아이디 카드는 받았는데 OTC 카드가 안왔어요.
이 경우는 에이전트에게 전화 하기전에 멤버 서비스에 전화해서 물어 보는게 빨라요.
귀찮다고요? 한국어 멤버 서비스에 전화해서 직접 본인이 답을 들으
면 스트레스가 없어져요.
Clevercare (클레버케어): 833-808-8164 (코리안 멤버 서비스)
질문 2) 서울 메디칼 그룹과 관계가 끝났다고 해서 고민하다 가 베네핏이 좋아서 그냥 남아 있기로 했어요. 그런데 진행이 원활히지 않아요. 처음에는 멤버 서비스에 전화해서 주치의와


그룹을 바꾸면 된디고 해서 전화로 바꿨는데도 다른 주치의와
메디칼 그룹으로 편지가 왔어요. 에이전트가 다시 멤버 서비
스에 전화 해서 수정하라고 해서 두번째로 다시 전화 했는데
이번에는 ID 카드에 주치의 이름은 맞는데 다른 AVANTA 그룹
(모르는 그룹이에요)으로 왔어요. 짜증도 나고 이제는 에이전
트가 일을 잘못 한게 아닌가 의심이 되요. 보험회사와 에이전
트를 바꾸려고 하는데 어떻게 할까요?
답) 속상하시죠? 올해는 이 문제로 에이전트들도 무척 고생하고 있어
요. 손님들은 본인에게 베네핏이 좋은니까 택했는데 이렇게 힘들 줄 알
았으면 보험회사를 바꿀걸 하는분 많구요.
에이전트들도 후회하고 있어요. 이 경우는 에이전트 잘못은 아닙니다.
이런일을 대비 안한 보험회사의 문제입니다. 또한 AVANTA 메디칼
그룹으로 바꾸는 보험회사의 문제가 있습니다. 이번 OEP 기간 (1/13/31) 에 변경을 할 수 있어요 . 그러나 에이전트 잘못은 아니니까 에이
전트와 의논해서 결정하세요 본인이 원하는 주치의와 그룹으로 수정 하는건 멤버 서비스에 전화하세요.
Astitva (아스티바): 888-698-5699 (코리안 멤버 서비스)
질문 3) 아이디 카드가 왔는데 주치의 이름과 메디칼 그룹이 달
라요. 저는 FACEY 그룹에 한국 주치의로 등록했는데 OPTUM
그룹에 미국 주치의 이름으로 ID 카드가 왔어요.
카드는 12월에 왔는데 모르고 있다가 1월에 주치의에게 약속 하다가 발견했어요. 전에는 이런일이 없었는데 에이전트 잘못
인것 같아요 ?
답) 올해는 특히 에이전트 불만을 많이 들어요. 생각해 보면 에이전트 잘못이 아닌데도 보험회사들이 일을 잘 못하니까 손님들이 불만을 에
이전트에게 전가 하는것 같아요.
다른 보험회사도들 있지만 올해 AEP 기간에 10만명 이상 등록한 회사
에서 많이 이 문제가 있어요.
등록한 멤버를 자랑만 했지 보험회사의 준비 부족인것 같아요. 저도 같
은 경우가 있어서 손님에게 어플리케이션에 등록한 FACEY 이름과 주
치의 이름을 보내드려서 오해는 풀렸지만 스트레스가 많았어요. 에이
전트를 원망하기 전에 멤버 서비스에 전화 해서 고쳐 달라고 하는게 가 장 쉬어요. (필요하면 에이전트와 3자 통화 하세요) .
에이전트가 온라인으로 하면 금방 바뀌지가 않아요. 멤버 서비스에 전 화해서 한국분이 전화를 안받을 경우 “코리안” 하세요. 전화 걸기 전
에 미리 의사이름, 메디칼 그룹, 전화번호, 주소를 정하고 연락 하면 시 간 절약이 됩니다.
우선 위에 질문들은 본인이 답 하셔야 만 해결됩니다.
Scan (스캔) : 855-567-7226 (코리안 멤버 서비스)

올해는 SSBCI 제도가 새로 생겨서 메디케어만 가진분 혹은 메디-메
디분들이 혼란스러워 하고 있습니다. 2026년 부터는 메디칼을 가진
분도 SSBCI 만성질환자를 위한 특별 보충 혜택 (Special Supplemental Benefits for the Chronically Ill) 을 가진 분들만 플랙스 카드로 마켓사
용이 가능 합니다.
질문 4) 1월 4일에 마켓에 가서 플랙스 카드를 사용했는데 카
드가 안된다고 해요. 어떻게 할까요 ?
답) 매년 1월 1일 부터 1월 10일 기간에는 많은 분들이 플랜을 변경해 서 모든 일이 순조롭지 않어요. 아마 지금쯤은 사용 가능 할꺼에요. 사 용하기 전에 카드를 활성화 (Activation) 하고 사용하세요.
질문 5) OTC (플랜스) 카드가 왔는데 Activation (활성화) 어 떻게 하나요?
답) 아스티바 보험 플랙스 카드는 활성화가 필요 없어요. 그러나 클레
버 카드를 보함한 여러 보험회사카드는 활성화 (Activation)가 필요 합 니다. 영어를 하는 분들은 전화로 할 수 있어요.
카드에 있는 전화번호로 전화하고 카드에 있는 번호를 누르고 생년월
일, 아파트나 집 집코드를 누르면 됩니다.
두번째는 카드 활성화를 멤버 서비스에 부탁하셔도 되고 에이전트가
도와줄 수 있어요. 단 에이전트는 플랙스 카드를 수정하거나 SSBCI 헤
택을 카드에 넣어줄 권한이 없습니다. 멤버 서비스에서만 가능 합니다.
Survey : #1. 질문 AEP 기간이 돌아오면 보통 에이전트 들은 손님에 게 연락을 합니다.
새로 나온 플랜 정보들을 알려 드리고 궁금한점들 있으면 도 와 드리려구요. 그럴때 에이전트를 바꾸려는 분들은 아래 3중 에 하나로 답을 합니다. 그런데 에이전트 입장으로는 전화를
안할수도 없고 해서 여러번 전화를 하게 됩니다. 손님도 스트 레스 이지만 에이전트도 스트레스 입니다. 손님 입장이면 아 래 어떤 방법이 좋다고 생각하세요?
#1 답 :“에이전트부터 전화가 여러번 와도 끝까지 응답 안 한다.”에 많은 분들이 찬성표를 던졌습니다.
답) 1. 전화가 여러번 와도 끝까지 응답 안한다.
2. 전화를 받아서 내가 왜 에이전트를 바꾸나 설명 해준다.
3. 전화가 안오면 아무것도 하지 않고 전화가 오면 카톡으로 설명없 이 다른 에이전트하고 한다고 알려준다.
어느 방법이 에이전트와 손님 모두에게 좋을까요?

12학년 전의 여름방학: 왜 현명한 가정들은 지금
부터 준비할까요? (8월이 아닙니다)
지난해 10월, 한 아버님이 제 사무실에 앉아 있었
습니다. 그는 지쳐 보였고 불안해 보였습니다.
"시간이 더 있을 줄 알았어요." 그는 말했습니다. "
모두들 1월 마감일을 이야기하잖아요. 그런데 딸아이의 진로 상담 선생
님이 ‘Early Action’ 마감일이 3주밖에 남지 않았다고 하더군요. 에세
이도 아직 못 썼고, 시험 준비도 제대로 못 했어요. 심지어 어떤 대학에
지원해야 할지도 모르겠어요."
그의 딸은 성적이 좋은 학생이었습니다. 좋은 성적에 다양한 활동 경력
까지 갖추고 있었죠. 하지만 여름방학 동안 너무 안일하게 생각했습니
다. 가을 내내 준비할 시간이 충분하다고 생각했던 겁니다. 10월이 되자
그들은 완전히 허둥지둥하게 되었습니다.
저는 매년 이런 경우를 봅니다. 그들은 모든 것을 제대로 준비하려고 노
력하지만, 한 가지 중요한 사실을 간과합니다. 대학 입시 과정은 생각보
다 훨씬 빠르게 진행된다는 것입니다.
아무도 이야기하지 않는 마감일
대부분의 학부모들은 1월 마감일을 생각합니다. 1월은 아직 멀게 느껴
지죠. 서두를 필요가 없다고 생각합니다.
하지만 현명한 학부모들은 진짜 마감일이 11월 1일이라는 것을 알고
있습니다.
11월 1일은‘조기 지원(Early Action)’및‘조기 결정(Early Decision)’
원서 접수 마감일입니다. 스탠퍼드, 하버드, 예일 등 많은 명문 대학들
이 여기에 해당됩니다.
조기 지원자는 합격 가능성이 더 높습니다. 합격 여부는 12월에 알 수
있고, 합격하면 고등학교 마지막 학년을 편안하게 즐길 수 있습니다.
하지만 11월 1일은 사실상 마감일이 아닙니다. 모든 준비가 완료되어야
하는 날입니다. 에세이는 완벽하게 다듬어져 있어야 하고, 시험 점수는
확정되어 있어야 하며, 추천서는 요청되어 있어야 하고, 지원할 대학 목
록도 준비되어 있어야 합니다.
거꾸로 계산해 보면, 시간이 얼마나 촉박한지 알 수 있습니다.
모든 학부모를 놀라게 하는 타임라인
현재 (1월/2월): 고등학교 11학년 2학기. 자녀는 학업과 과외활동으로
바쁩니다.
봄 (3월~5월): ACT/SAT 시험을 볼 수 있지만, 자녀는 AP 시험과 기말
고사도 치러야 합니다.
여름 (6월~8월): 약 10~12주. 대학 입시 준비에 집중할 수 있는 유일한 긴 시간입니다. 12학년 전의
고등학교 12학년 시작 (8월): 학교, 숙제, 과외활동, 그리고 원서 접수까
지 모든 것을 동시에 해야 합니다.
11월 1일: 개학 후 불과 8~10주밖에 지나지 않았습니다.
문제가 보이나요? 12학년이 시작되면 시간이 없습니다. 현명한 가정들
은 여름방학을 활용하여 미리 준비합니다.
11월 1일 전에 해야 할 일들
많은 가정들이 대학 입학 원서 준비에 얼마나 많은 노력이 필요한지 잘
모릅니다.
시험 점수 : 자녀가 ACT 또는 SAT 점수를 향상시켜야 한다면, 여름이
마지막 기회입니다. 10월 시험은 너무 늦습니다. 자녀는 학교 공부와 원
서 준비로 정신없이 바쁠 것입니다.
에세이 : 주요 에세이는 650단어입니다. 하지만 각 대학은 추가 에세이
를 요구하기도 하는데, 학교당 3-4개씩 되는 경우도 있습니다.
자녀가 여덟 개 대학에 지원한다면, 열다섯 개에서 스무 개의 에세이를 써야 할 수도 있습니다.
에세이는 서둘러 쓸 수 있는 것이 아닙니다. 10월에 시작하는 학생들은
기억에 남지 않는 에세이를 제출하는 반면, 여름에 시작하는 학생들은
인상적인 에세이를 쓸 수 있습니다.
대학 목록 : 너무 많은 가족들이 순위만 보고 대학을 선택합니다. 상위 권 대학에만 열 군데 지원했다가 모두 불합격하는 경우가 많습니다. 좋 은 대학 목록을 만들려면 충분한 조사가 필요합니다. 상위권 대학, 적정 수준 대학, 그리고 안정권 대학을 골고루 포함해야 합니다. 이는 시간이 걸리는 작업입니다.
추천서 : 선생님들은 시간적 여유가 있을 때 더 좋은 추천서를 써주십 니다. 선생님들이 덜 바쁘고 자녀에 대한 기억이 생생할 때인 여름 방학
전에 부탁하세요.
과외활동 : 지역 사회 봉사 활동을 하는 학생들은 여름에 더 많은 활동
을 하고 결과를 기록해야 합니다. 봉사 활동 경험이 없는 학생들은 여름 이 마지막 기회입니다.
저에게 희망을 주는 이야기
저희가 함께했던 한 가정에 대한 이야기를 들려드리고 싶습니다. 옥스 퍼드 에듀케이션의 많은 가정들처럼, 이 가정도 이민자였습니다. 부모
님은 미국에서 대학 교육을 받지 못하셨습니다.
저희를 처음 찾아왔을 때, 그들은 막막해했습니다. 입학 지원 절차를 전 혀 이해하지 못했고, 어떤 일정으로 진행되는지도 몰랐습니다.
딸은 성적이 좋은 학생이었지만, 그 부모님은 아무런 정보도 없었습니 다. 주변에 이런 경험을 해본 사람이 아무도 없었기 때문입니다.
저희는 부모님과 함께 앉아 계획을 세웠습니다. 매달 무엇을 해야 하는






지, 언제 해야 하는지 자세히 알려드렸습니다. 딸이 시험 준비를 할 수
있도록 도왔고, 여름 방학 동안 에세이 작성 지도를 했습니다. 함께 대 학 정보를 찾아보고, 가을 학기가 시작되기 전에 모든 준비를 마칠 수 있도록 했습니다.
고등학교 마지막 학년이 시작되었을 때, 이 학생은 불안해하지 않았습 니다. 이미 지원서 작성을 거의 마친 상태였기 때문입니다.
12월, 그 학생은 스탠퍼드 대학교에 조기 전형으로 합격했다는 소식을 받았습니다.
어머니께서 저에게 전화하셔서 눈물을 흘리며 말씀하셨습니다. "이런 일이 가능할 거라고는 생각도 못했어요. 길을 보여주셔서 정말 감사합 니다."
이 가정에게는 돈이나 인맥이 필요했던 것이 아니었습니다. 일찍 시작
해서 명확한 계획을 따라가는 것이 필요했던 것입니다.
준비 vs. 당황 준비되지 않은 학생 : 10월이 되어서야 조기 전형 마감일이 임박했음
을 깨닫습니다. 급하게 에세이를 쓰기 시작합니다. 원서 제출과 동시에
SAT 시험도 치릅니다. 스트레스와 불안감 속에서 원서를 제출합니다.
결과 : 원하는 대학에서 불합격 통보를 받습니다.
준비된 학생 : 여름방학 동안 충분한 시간을 갖고 에세이를 작성하고 수
정합니다. 8월까지 모든 시험을 마칩니다. 고등학교 마지막 학년이 시
작될 무렵에는 원서 작성이 거의 완료됩니다.
결과 : 원하는 대학에 조기 전형으로 합격합니다. 여유로운 고등학교 마
지막 학년을 보냅니다.


옥스퍼드 에듀케이션이 도움을 주는 방법
많은 학부모들이 준비의 중요성을 알고 있지만, 어떻게 모든 것을 체계
적으로 준비해야 할지 몰라 막막해합니다.
옥스퍼드 에듀케이션은 지난 25년 동안 이러한 과정을 통해 많은 가정
들을 도와왔습니다.
맞춤형 계획 수립: 자녀의 현재 상황을 파악하고 월별 계획을 세워드립 니다.
체계적인 관리 : 정기적인 점검을 통해 여름방학을 알차게 보낼 수 있도
록 도와드립니다.
단계별 맞춤 지도 : 시험 준비부터 에세이 작성, 대학 선택까지 모든 과 정을 함께합니다.
스트레스 감소 : 명확한 계획이 있으면 불안감이 사라집니다.
소중한 여름방학을 놓치지 마세요.
지금은 여름방학이 멀게 느껴지고, 11월은 더욱 멀게 느껴질지도 모릅 니다.
하지만 시간은 생각보다 빠르게 흘러갑니다. 여름방학은 금방 다가오 고, 순식간에 지나갈 것입니다. 그리고 자녀는 고등학교 마지막 학년을 맞이하게 될 것입니다. 준비가 잘 되어 자신감 넘치는 모습으로 시작할 수도 있고, 허둥지둥하며 스트레스에 시달릴 수도 있습니다.
성공하는 가정들은 더 똑똑하거나 부유한 것이 아닙니다. 단지 더 일찍
준비를 시작했을 뿐입니다.
11월 1일이 다가오고 있습니다. 여러분의 가정은 준비가 되어 있습니 까?

베스트부동산, 탑에이전트 & 우수에이전트 시상식 개최
전문성과 고객 신뢰로 한 해의 성과를 축하하다

밸리 한인사회에서 가장 크고 오랜 역사를 자랑하는 베스트 부동산이
지난달, 뛰어난 전문성과 탁월한 고객 서비스로 높은 평가를 받은 부동
산 에이전트들을 선정해 ‘탑 에이전트 및 우수 에이전트 시상식’을 개최했다. 이번 시상식은 지난 한 해 동안 최선의 노력으로 최고의 성과 를 이룬 에이전트들의 헌신과 열정을 격려하고 축하하기 위해 마련된 자리로, 업계 관계자들로부터 큰 관심을 받았는데, 탑 에이전트상은 탁 월한 실적을 인정받은 고성민 에이전트가 수상했으며, 우수 에이전트
상은 리나 서, 수지 리, 조이스 리, 닐 강 에이전트가 각각 수상의 영예를 안았다. 베스트 부동산의 수잔 김 대표는 “지난 한 해 동안 함께해 주 신 고객 여러분 덕분에 소중한 공간을 연결하고 많은 분들의 꿈을 실현 할 수 있었다”며, “신년에도 고객 한 분 한 분의 필요와 소망을 최우 선으로 생각하며 더욱 신뢰받는 부동산 파트너가 되기 위해 최선을 다 하겠다”고 전했다. 한편, 밸리 한인사회에서 가장 크고 오래된 부동산 회사로 자리매김해 온 베스트 부동산은 넓고 쾌적한 자체 사옥을 갖추 고 있으며, 체계적인 시스템과 안정적인 운영으로 높은 신뢰를 받고 있 다. 현재 베스트 부동산은 풀타임 라이선스 소지자 에이전트를 모집 중 으로, 철저한 교육 프로그램과 가족 같은 분위기 속에서 검증된 회사와 함께 성장하며 큰 꿈을 펼쳐 나갈 인재를 환영하고 있다.
문의: 818-366-3200



시
많은 재택근무자와 은퇴자들에게 해외 생활은 꿈같은 일이다. 저렴한
생활비, 여유로운 삶의 방식, 그리고 여행의 자유를 누리면서도 예산을
더욱 알뜰하게 활용할 수 있기 때문이다. 하지만 사회보장 연금을 수령
하는 경우, 해외 거주 시 연금수령이 자동으로 보장되는 것은 아니다.
이주 후 연금 수령관련 규정에 대해 예상치 못한 경우가 많으며, 특히
은퇴 후 해외로 이주하는 경우 사회보장 연금 수령이 중단될 위험이 있
다. 미국 외 지역으로 이주할 경우 연금수령이 중단될 수 있는 이유를
자세히 알아보자.
특정 면제 사유에 해당하지 않는 비시민권자
미국 시민권자가 아닌 경우, 일반적으로 미국 외 지역에 6개월 이상 체
류하면 사회보장 연금 지급이 중단된다. 연금 수령을 유지하려면 특정
면제 사유에 해당하거나 미국으로 돌아와 한 달 동안 합법적으로 체류
해야 한다. 단기 체류는 연금 수령 중단 기간을 다시 계산하는 데 도움
이 되지 않을 수 있다. 경우에 따라서는 지급을 재개하려면 한 달 내내
직접 미국에 거주해야 할 수도 있다.
제한 또는 제재 대상 국가 거주자
미국 재무부의 제한 조치로 인해 특정 국가에 거주하는 사람들에게는
사회보장 연금이 지급되지 않는다.
쿠바, 북한, 그리고 여러 구소련 공화국들이 여기에 해당하며, 이들 국
가에서는 일반적으로 지급이 보류된다. 이러한 국가로 이주하는 경우, 지급이 허용되는 국가로 다시 이주할 때까지 연금 지급이 중단될 수 있다.
거주 또는 근로 크레딧 요건을 충족하지 못하는 비시민권자
일부 비시민권자는 최소 미국 근로 또는 거주 요건을 충족하는 경우 해
외에서도 연금을 받을 수 있다. 대부분의 경우, 이는 최소 40 사회보장 크레딧 또는 10년의 미국 거주를 의미한다. 이러한 요건을 충족하지 못 하는 경우, 해외에서 6개월 이상 체류하면 지급이 중단될 수 있으며, 해 당 개인이 다시 자격을 충족하거나 엄격한 규정에 따라 미국으로 돌아 올 때까지 지급이 재개되지 않을 수 있다. 거주 요건을 충족하지 못하는 부양가족 및 유족 부양가족 및 유족은 거주 요건을 충족하기 위해 추가적인 어려움에 직 면할 수 있다.
경우에 따라, 적격 가족 관계를 유지하면서 미국에서 최소 5년 이상 거
주했음을 증명해야 한다. 이러한 거주 요건을 충족하지 못하면, 주 수혜 자가 수십 년 동안 사회보장세를 납부했더라도 해외 거주 기간 동안에 는 수급이 중단될 수 있다.
사회보장국(SSA) 설문지에 응답하지 않는 수혜자 사회보장국은 미국 외 거주 수혜자에게 정기적으로 설문지를 발송한 다. 이 설문지는 수급 자격 유지 여부를 확인하기 위한 것이다.
설문지에 응답하지 않으면 다른 모든 자격 요건을 충족하더라도 수급

이 중단될 수 있다. 일반적으로 사회보장국이 필요한 정보를 받은 후에 야 수급이 재개된다.
일부 이중 국적자
이중 국적을 보유하면 사회보장 수급이 복잡해질 수 있다. 미국 시민권
을 유지하는 경우, 수급 목적상 미국 시민으로 간주되므로 일반적으로
문제가 없다. 하지만 쿠바나 북한과 같은 제한 국가에 거주하거나, 신고
및 거주 요건을 충족하지 못하는 경우, 사회보장급여 지급이 중단될 수 있다.
이중 국적은 다른 모든 요건을 충족할 때만 수급 자격을 보호해 준다.
미국 시민권을 포기하는 경우
미국 시민권을 포기한다고 해서 이전에 적립된 사회보장 크레딧이 소
멸되는 것은 아니지만, 수급 자격 심사 방식이 변경된다. 시민권을 포
기하면 미국 시민이 아닌 것으로 간주된다. 즉, 수급 자격은 거주 국가,
Economy
근로 크레딧, 거주 이력, 그리고 국제 협약 적용 여부에 따라 결정된다.
예외 사항에 해당하지 않는 경우 수급이 중단될 수 있다.
해외 수감 중인 경우
일반적으로 형사 유죄 판결 후 수감 기간 동안 사회보장급여 지급이 중
단되며, 이는 미국 외 국가에서의 수감도 포함된다. 일반적으로 석방
후 시민권, 거주 요건, 그리고 수급 국가 요건을 충족하는 경우 수급이 재개된다.
세금 납부 의무를 회피하고 있다. 해외 거주는 미국 시민권자뿐 아니라 일부 비시민권자에게도 세금 납
부 의무를 면제해 주지 않는다. 필수 정보 또는 소득 신고를 하지 않으
면 벌금이 부과되고 혜택 지급이 중단될 수 있다.
사회보장국(SSA)은 자격에 영향을 미치는 모든 변경 사항을 적시에 신 고하도록 요구한다. 이를 준수하지 않을 경우 과지급, 지급 중단 또는
환수 조치가 취해질 수 있다.
미납 세금이 있는 경우 연방 정부의 상계 프로그램을 통해 미납된 연방 세금을 징수하기 위해




사회보장 연금이 감액될 수 있다. 해외로 이주하거나 거주하는 것 자체
만으로는 세금 징수가 시작되지는 않지만, 미납 세금이 있는 경우 사회 보장국(SSA)에서 매달 지급되는 연금의 일부를 압류하거나 공제할 수
있으므로 월 지급액이 줄어들 수 있다. 이러한 감액은 해외에서 사회보 장 연금에 크게 의존하는 은퇴자들의 예산 관리를 복잡하게 만들 수 있다.
결론
해외에서 은퇴한다고 해서 사회보장 연금을 자동으로 유지하거나 잃게
되는 것은 아니다. 시민권 상태, 거주 국가, 근무 이력, 그리고 신고 의무
준수 여부 등 모든 요소가 중요하다.
연금 지급 중단 사례 중 상당수는 고의적인 법률 위반이 아닌 선의의 노
력에서 비롯된 경우가 많다.
해외 이주를 고려하기 전에 자격 요건을 꼼꼼히 확인하고 그에 맞춰 계
획을 세우자. 그리고 해외 이주만이 새로운 환경을 즐기는 유일한 방법
은 아니라는 점을 기억하자. 항공권 날짜 선택의 유연성이 높아지고 시
니어 여행객을 위한 할인 혜택이 많아지면서 장기 해외여행도 경제적 이고 즐거운 선택이 될 수 있다. 실제로 해외로 완전히 이주하는 것을 고려하고 있다면, 먼저 3개월 정도의 장기 휴가를 통해 재정적인 측면
을 미리 점검해 보는 것도 좋은 방법이다.































움직이고 있는가?
2026년을 대비한 최고의 부동산 투자 전략
2024년과 2025년의 시장 조정을 거친 후, 남가주 부동산 시장은 2026
년을 보다 안정적인 기반 위에서 맞이하고 있다. 주택 가격은 여전히 역 사적 고점에 근접한 수준을 유지하고 있으며, 모기지 금리는 소폭 완화
되었다. 매물 수 역시 장기 평균과 비교하면 여전히 제한적이지만, 이전
보다 선택의 폭이 넓어지면서 실수요자와 투자자 모두에게 보다 현실적
인 기회가 열리고 있다. 이러한 변화는 주택 구매자와 투자자 모두에게 기회를 제공하지만, 그 성과는 올바른 전략과 정확한 입지 선택에 달려 있다.
약해진 시장이 아닌, 균형을 되찾은 시장
일부 언론의 시각과 달리, 남가주 부동산 시장은 하락 국면에 접어든 것
이 아니다. 오히려 우리는 지금 정상화(normalization) 과정에 있다. 과거
몇 년간 이어졌던 극단적인 셀러 우위 시장은 완화되었고, 이제는 가격
책정, 주택의 질, 그리고 장기적인 시장 펀더멘털이 거래 속도보다 더
중요해지는 환경으로 전환되고 있다. 이러한 시장은 단기적인 판단보다
는 철저한 분석과 준비를 갖춘 투자자와 구매자에게 유리하게 작용한
다. 특히 성장 가능성이 검증된 지역과 안정적인 수익을 창출할 수 있는 자
산에 집중하는 이들에게 2026년은 의미 있는 기회의 해가 될 가능성이 크다.
2026년에 가장 효과적인 부동산 투자 전략
멀티패밀리 주택 (2~5유닛 이상)
멀티패밀리 자산은 남가주에서 여전히 가장 신뢰할 수 있는 수익형 투
자 전략 중 하나로 평가된다. 여러 유닛에서 발생하는 임대 수익은 공실
리스크를 분산시켜 주며, 리노베이션이나 운영 개선과 같은 가치 상승 (Value-Add) 전략을 통해 수익률을 크게 향상시킬 수 있다.
이러한 투자 방식은 다음과 같은 투자자에게 특히 적합하다.
* 안정적인 현금 흐름(Cash Flow)을 중시하는 투자자
* 장기적인 관점에서 부동산 포트폴리오 성장을 목표로 하는 투자자.
싱글패밀리 렌탈 (Single-Family Rentals)
자가 주택 구매에서 가격 부담을 느끼는 수요층이 늘어나면서, 싱글패
밀리 주택에 대한 임대 수요는 여전히 매우 견고하다. 이러한 주택은 일
반적으로 임차인의 거주 기간이 길고, 관리가 비교적 단순하다는 장점
이 있다. 이러한 투자 방식은 다음과 같은 경우에 적합하다.
* 첫 부동산 투자를 시작하는 투자자
* 향후 매각이나 실거주 전환 등 유연성과 유동성을 중시하는 바이어
싱글패밀리 또는 멀티패밀리 + ADU 전략
ADU(Accessory Dwelling Unit, 부속 주거 유닛)는 최근 캘리포니아 부동 산 시장에서 가장 강력한
Duk Young (Sophia) Yang
(213) 500-5740
- COMPASS Real Estate 라케냐다 오피스
- Commercial, Residential & Property Management
- 전 KREBASC (남가주 부동산 협회) 이사 및 소셜 미디어 담당
- SFR Certified(숏세일/차압/ 은행 매물 전문)
Short sale/ Foreclosure/ Real Estate Owned
- 발렌시아/스티븐슨랜치/캐년컨츄리 라카나다/라크라센타/파사데나 전문
* 에퀴티(자산 가치) 성장 속도 가속화
* 전체 투자 수익률(ROI) 개선

특히 로스앤젤레스, 오렌지카운티, 샌디에이고와 같은 고임대료 시장에 서는 단순 리모델링보다 ADU 추가가 훨씬 높은 성과를 내는 경우가 많
다. 이 전략은 다음과 같은 투자자에게 적합하다.
* 가치 상승(Value-Add) 기회를 적극적으로 활용하고자 하는 투자자
* 장기적인 임대 수익과 자산 성장을 동시에 추구하는 투자자 이 모든 흐름이 의미하는 바 2026년의 부동산 시장은 ‘타이밍’보다 ‘전략’이 더 중요한 해가 될 가능성이 크다.
가격 급변을 기다리기보다, 입지, 임대 수요, 조닝 규정, 그리고 장기적
인 성장 가능성과 같은 기본 요소에 집중하는 바이어가 더 나은 결과를
기대할 수 있다.
투자자 관점에서 남가주 부동산 시장은 여전히 미국 내에서 가장 경쟁
이 치열한 시장 중 하나다. 그러나 명확한 목표와 전문적인 가이드를 바
탕으로 접근한다면, 그만큼 보상도 큰 시장이기도 하다.
기회는 이미 시장에 존재한다. 핵심은 어디를 선택할 것인지, 그리고 어
떤 구조로 투자할 것인지를 정확히 아는 데 있다.
2024~2025년을 거치며 남가주 부동산 시장은 과열에서 벗어나 안정적 균형 국면으로 이동했다.
가격은 역사적 고점 부근에서 견고하게 유지되고, 금리는 다소 완화되
었으며, 매물 선택지는 과거보다 현실적인 수준으로 늘었다. 이러한 환
경은 ‘속도’보다 ‘전략’이 수익을 좌우하는 시기임을 의미한다. 특히 파사데나, 라캐나다 플린트리지, 핸콕 파크는 단기 변동성보다 장 기 가치와 수요의 질이 시장을 지탱하는 대표적 프리미엄 주거지로, 2026년을 바라보는 투자와 실거주 전략의 기준점이 된다.
부동산 투자는 단순한 매매가 아니라 미래를 설계하는 전략입니다.
저는 남가주, 특히 Pasadena, La Cañada Flintridge, Hancock Park 등 프
리미엄 지역에서 다년간 경험을 쌓아온 지역 전문 부동산 에이전트로
서, 각 고객님의 목표와 라이프스타일에 맞춘 맞춤형 투자 전략과 매물
솔루션을 제공합니다.
주택 구매, 임대 투자, 가치 상승 기회 탐색까지, 정확한 시장 분석과 실
전 경험을 바탕으로 최적의 결정을 도와드립니다.
남가주 부동산의 복잡한 시장 속에서도 안심하고 믿을 수 있는 파트너 가 필요하다면 언제든 문의해 주세요.
지금 바로 전문가 상담을 통해 2026년 최고의 투자 전략을 확인하세요.
(문의: (213) 500-5740)
2026년에 바뀌는 부동산 법
이상규 ( 뉴스타 부동산 명예 부회장 )
2026년 새로 시행되는 몇가지 부동산 법을 소개하고자 합니다. 몇 가지 는 제재조치 및 벌금이 많은 만큼 미리 알아두어서 손해를 보지 않기를 바랍니다.
첫째, 모든 임대 주택에는 작동 가능한 냉장고와 스토브를 반드시 포함 해야 합니다.
그동안 스토브는 주거 가능 필수 조건으로 여겨져서 거의 모든 임대 주
택들은 전기 또는 가스스토브를 구비하고 임대를 주었습니다. 하지만
냉장고나 세탁기/건조기는 필수 구비 조건으로 간주되지 않았습니다.
그러나 코로나 이후 주거 적합성 관점에서 냉장고 및 주방 기구 구비 및
유지 보수가 사회적 문제가 되자 주 하원에서 발의하고 캘리포니아 뉴 섬 주지사가 지난 10월 서명함으로 올 1월1일부터 시행하게 되었습니다.
새로 임대
오지 않는 한 제공하도록 했습니다.

만약 테넌트가 임대 중간에 새로 냉장고를 제공해 달라고 랜드로드에 게 요청을 하면 작동 가능한 냉장고를 요청일로부터 한 달 이내에 제공 하도록 했습니다. 또한 기존에 이미 계약을 한 테넌트는 랜드로드가 냉 장고를 제공한 경우에는 유지 보수를 해 달라는 요청을 할 수 있습니다. 그리고 만약 테넌트 본인이 갖고 왔으나 고장이 나서 사용할 수 없다면 랜드로드에게 냉장고를 제공해 달라고 요청할 수 있게 되었습니다. 둘째, 판매이든 임대이든 리스팅 에이전트가 매물 광고를 할 경우 AI 또
편집이 가미된 이미지를 사용할 경우 수정되었음을 명확히 표시해야 합니다.


바닥, 타일을 바꾸거나 창밖의 뷰를 교체하고, 없는 수영장, 벽난로, 조
경을 만들고 옛날 집을 마치 새집인 것처럼 바꾸는 것이 가능해짐에 따
라 소비자들이 오해하여 집을 구매하는 경우가 생겼습니다.
이런 분쟁이 3배 이상 늘자 셀러와 리스팅 에이전트는 광고시 AI를 사
용할 수 있으나 사용하였다면 이를 명시해야 할 의무가 올해 1월1일부
터 생겼습니다.
셋째, 올해 7월1일부터 발효예정인 고밀도 주택 개발 활성화에 대해 설
명 드립니다.
엘에이 한인타운같이 대중 교통역의 반경 0.5마일 이내 지역에 대해 다
세대 고층 주택 개발을 수월하게 했습니다.
전에는 지방 정부의 Zoning 기준에 의해 환경 심사와 공청회를 열어야




했고 고도제한도 있었지만 주거 공급 확대 정책의 일환으로 많은 규제
들을 풀었습니다.

대중교통이 편리한 정류장 인근 지역, 즉 TOD(Transit-Oriented Development)지역에는 주 정부가 밀도와 고도제한 등을 풀어 개발 최
소 기준을 만들었고 지방 정부가 이 최소 기준을 맞추어야 하고 더 적게
개발할 수 없도록 했습니다. 즉 교통이 편리한 지역에 더 많은 주택을 짓게 하는 것이 가능해졌습니다.
이외에도 판매시 주택내 과거 흡연 여부 고지 의무, 발코니 검사 및 유 지 보수 의무 등 여러 가지 법안이 이미 시행되고 있거나 새로 시행되는 것이 있으므로 매매시 부동산 전문가와 상담하여 피해를 줄이시길 바
랍니다. 문의 이상규 : 818-439-8949




미국 모기지 금리 3년 만에 최저치 기록:
구매자들에게 새로운 기회

최근 미국 모기지 금리 하락은 주택 구매자와 주택 소유주 모두에게 절
실히 필요한 숨통을 트여주고 있습니다.
프레디맥에 따르면, 일반 모기지 평균 금리는 낮은 6%대로 하락하여
2022년 9월 이후 최저치를 기록했습니다. 이는 불과 1년 전 30년 만기
고정금리 모기지 평균 금리였던 7.04%에서 크게 낮아진 수치로, 대출
비용이 상당히 감소했음을 보여줍니다. 이러한 금리 하락은 주택 시장
에 즉각적인 영향을 미치고 있습니다.
프레디맥은 금리 하락으로 주택 구매 신청이 증가했으며, 특히 금리가
높았을 때 대출을 받은 주택 소유주들이 대출 재융자를 고려하는 사례
가 늘었다고 보고했습니다.
재융자에 인기 있는 15년 만기 고정금리 모기지 금리도 5.5%대로 하락
하는 등 이러한 추세는 15년 만기 고정금리 모기지에서도 나타나고 있
습니다.
금리 하락은 연준의 기준금리 인하에 대한 시장의 기대감이 반영되면
서 7월부터 시작되었습니다.
연준이 모기지 금리를 직접 결정하는 것은 아니지만, 연준의 결정은 금
융 시장과 장기 대출의 기준이 되는 국채 수익률에 영향을 미칩니다.
금리가 개선되었음에도 불구하고 주택 구매력 문제는 여전히 해결되지 않고 있습니다.











부동산 데이터 회사인 Attom의 보고서에 따르면, 1월에 분석된 594개

카운티 중 99%에서 중간 가격대의 주택이 평소보다 구매하기 어려운
것으로 나타났습니다.
이 보고서는 지속적인 격차를 보여줍니다.
연방 노동 데이터에 따르면 지난 5년 동안 일반 주택 가격은 54% 상승
한 반면, 임금은 29% 증가하는 데 그쳤습니다.
이러한 격차는 금리가 낮아졌음에도 불구하고 많은 구매자들이 여전히
어려움을 겪는 이유를 설명합니다. 이러한 문제에 대응하여 도널드 트
럼프 대통령은 최근 주택 구매를 장려하기 위한 두 가지 방안을 발표했
습니다.
하나는 기관 투자자의 주택 구매를 제한하는 것이고, 다른 하나는 연방
정부가 2,000억 달러 규모의 모기지 채권을 매입하는 것입니다.


경제 전문가들은 이러한 조치가 주택 가격과 금리 상승 압력을 완화하
는 데 도움이 될 수 있다고 보고 있으며, 채권 매입으로 모기지 금리가
최대 0.35%포인트 하락할 수 있다고 추정됩니다. 그러나 주택 부족이
라는 구조적인 문제는 여전히 남아 있습니다.
현재의 주택 부족 문제를 해결하기 위해 미국에 최대 400만 채의 주택
이 추가로 필요하다고 추정됩니다.
많은 사람들이 월 상환액을 줄이거나 대출 기간을 단축할 수 있지만, 결
정을 내리기 전에 마감 비용, 잔여 대출금, 그리고 재정 목표를 신중하 게 고려하는 것이 중요합니다.
충분한 저축, 넉넉한 비상 자금, 그리고 계약금으로 사용할 충분한 자본 을 마련했다면 지금이 주택 구매를 진지하게 고려해 볼 적기일 수 있습 니다.





형이 골목대장이기 때문이었다.
닫힌 문
지상문
그는 그 집에서 일곱 해를 살았다. 추녀
를 맞댄 골목길은 여남은 개구쟁이들이
주름잡은 왕국이었다.
한 살쯤 더 늙은 형의 명령을 거역할만 한 용기는 어느 졸개에게도 없었다. 그
주어온 돌멩이를 땅에 묻으라는 명령을 받았다.
거기에 매일 모여 오줌을 누고 며칠을 지나면 하얀 석필이 된다는 대장
의 말을 믿었기 때문이다. 어떤 날 대장의 꽁무니를 따라 산마루 있는
중국 약초원으로 버찌를 따러 갔다가 주인의 고함소리에 놀라서 도망
치고 말았다.
철조망에 걸려 넘어진 대장의 무르팍에서 피가 나기도 했다. 그 대장은
흐르는 피를 손바닥으로 쓱 문질러버리며 우리에게 빨리 도망가라는
손짓을 했다. 그 중국인이 뭐라고 소리를 질렀는지는 알 수 없었다. 약
초원엔 여러 가지 꽃들이 잔뜩 피어 있었던 것 같다.
부엌의 솥뚜껑을 세 번이나 열어봐도 누룽지는 보이지 않았다. 다시 대
장의 집을 기웃해 봐도 대장도 보이지 않았다.
하늘빛은 꾀나 푸르렀다.
보따리 보따리와 함께 보잉747에 올라 태평양바다를 넘어와 희고 검은
얼굴 속을 누르끼리 하게 30년을 훌쩍 넘긴 사이 그는 반대머리의 한
늙은이로 변해버렸다.
그는 태어나 일곱 해를 같이 하던 옛집이 궁금했다.
동대문 밖 신설동의 꼬불꼬불한 골목길은 더 좁아진 듯해도 오히려 정
다웠다.
삐걱거리던 널빤지 담장과 대문이 모두 철문으로 바뀌어 바람의 길을
막았다.
그의 집도 대장의 집도 마당까지 지붕으로 덮여 숨이 막힐 듯했다. 묻어
둔 돌멩이의 자리도 콘크리트로 덮여져 있었다.
장독위에 소복이 얹힌 눈모자의 옛 그림을 그리며 문의 틈새를 찾아 머
리를 이리저리 굴리는데 벌컥 문이 열렸다.
놀라기는 그나 그 집주인이나 마찬가지였다.
60년 전에 살던 집이라 한번 보고 싶어 왔는데 놀람을 드려 죄송하다고
인사를 드려도 아랑곳없이 그 주인은 집안으로 들어가 뭐라고 소리를
지르더니 다시 나와서 문을 꽝 닫고는 골목길로 사라져버렸다.





" 우리도 꿈이 있습니다."

1월19일은 마틴 루터 킹 목사를 기념하기
위하여 국가 공휴일로 지냅니다.
저는 목사이기에 이 분을 더욱 소중하게 생
각하고 있습니다.
“우리가 살고 있는 미국의 복이고, 교회의 자랑거리!”라고 생각하고 있습니다.
마틴 루터 킹 목사는 1963년 8월28일 워싱
턴 시 링컨기념관 앞에서 “나에게는 꿈이 있습니다.”라는 명연설을 합니다.
그 광장 앞에 모인 25여만 명이 듣습니다. 지금도 녹음된 그분의 목소리
를 들으면 제 가슴이 울렁거립니다.
왜 그럴까? “시대와 장소를 초월하여 애통하는 심정으로 사는 사람들
의 꿈을 대신하여 선포하였기 때문이다”라고 생각하고 있습니다.
“나에게는 꿈이 있습니다. 그, 언젠가 ---. 어느 날 백인 어린이가
흑인 어린이와 함께 형제와 자매처럼 손을 잡게 되는 꿈입니다. 나에게 는 꿈이 있습니다. 내 사랑하는 아들들이 그들의 피부색깔로서가 아니

라 인격이 어떠한 가에 따라 사람을 평가하게 되는 나라에서 살게 되는
꿈이 있습니다.”
이 분의 꿈대로 46년 만에 흑인도 대통령이 되는 미국이 되었습니다. 그
만큼 피부색깔로 사람을 판단하지 않는 사회가 미국 안에 정착되고 있
다 는 증거입니다.
저는 여자도 대통령이 되는 날을 기대하고 있습니다. 그 다음에는 아시
안 사람도 대통령으로 취임하는 날이 올 것이라 확신하고 있습니다.
우리도 꿈이 있습니다.
Praise boldly, Live faithfully, Love widely! 새 한양교회가 갖고 있는 꿈 입니다.
언어가 달라도 세대가 달라도 한 마음으로 한자리에 모여서 하나님을
찬양할 수 있는 예배공동체를 만들어 가고 있습니다.

교회 이웃들과 더불어 사는 사회공동체를 추구하고 있습니다.
우리 주 예수 그리스도의 사랑이 더 넓게 더 깊게 신앙생활의 가치관이
되도록 돌보는 공동체를 실천하고 있습니다.
놀랍고 감사하게도, 미국감리교회가 우리 한양장로 교회에게 예배당을
흔쾌히 내어 주셨습니다. 이제는 미국감리교회와 정기적으로 주일예
배시간을 갖고 있습니다.
주변지역을 돌보는 사역을 공동으로 하고 있습니다.
젊은 찬양전문가들이 한양 교회의 꿈이 실현될 수 있도록 돕고 있습니다.
하나님 안에서 갖는 선한 꿈은 사람을 움직입니다. 결국 그 꿈이 실현되
면서 모든 사람에게 유익을 가져옵니다.
한양교회로 인해 주변 사람들이 ‘나도 꿈이 있습니다!”라고 외치는
분위기가 만들어 지면 좋겠습니다.
담임목사 초빙도 2월부터 시작됩니다.
광야에서 애통하며 교회생활을 하는 가운데 하나님의 은혜를 참 많이
경험한 바 있습니다. 그러하기에, 좋으신 하나님께서 준비하신 목회자
가 우리의 초빙을 기다리고 있을 것이라고 확신하고 있습니다.
한양장로교회
임시목사 양인
부활절 상차림, 쉽게 준비하는 요리 클래스
다가오는 부활절을 맞아 명절 상차림을 부담 없이, 그러나 정성스럽게
준비할 수 있는 요리 클래스가 열린다. ‘부활절 상차림, 쉽게 준비하는 완벽한 명절 요리’라는 주제로 진행되는 이번 클래스는 실용적인 메 뉴 구성과 따라 하기 쉬운 레시피로 관심을 모으고 있다. 이번 요리 클
래스에서는 가정에서도 손쉽게 완성할 수 있으면서도 상차림의 품격
을 높여주는 메뉴들이 소개되는데, 메뉴는 ▲간장 과일 소스를 곁들인 돼지 갈비찜 ▲컵케이크 스타일로 업사이드다운한 채소 비빔밥 ▲알록
달록한 피클 샐러드로 구성되어 있어, 부활절 식탁을 더욱 풍성하고 다
채롭게 만들어 줄 예정이다. 행사는 한양장로교회에서 진행되며, 주소 는 ‘9650 Reseda Blvd., Northridge’이다. 요리 수업은 교회 내 친교
실(Fellowship Hall)에서 열리며, 일시는 2026년 3월 14일(토요일) 오전
9시부터 오전 11시까지다. 참가비는 1인당 10달러로 부담 없이 참여할 수 있으며, 참가자는 주방용 칼, 도마, 테이크아웃 용기, 중간 크기 냄비, 접시를 개인 준비물로 지참해야 한다. 원활한 진행을 위해 사전 등록은 필수이며, 등록 마감일은 2026년 2월 28일이다. 부활절을 맞아 가족과 이웃을 위한 따뜻한 상차림을 준비하고 싶은 이들에게 이번 요리 클래 스는 실용적인 배움과 즐거움을 동시에 제공할 뜻 깊은 시간이 될 것으 로 기대된다. 문의는 818-635-0795로 하면 된다.
































회복 탄력성
(마음 근육 기르기)

사장을 비롯한 많은 사람들 앞에 선 팀장 A는 잔뜩 긴장하고 있었습니다.
“지난 번 프로젝 실패했죠? 인정하십니까? 어떻게 책임지겠습니까?”
이 한마디가 A의 마음을 흔들었습니다.
내면은 뒤죽박죽이 됩니다. “나만 책임인가? 제대로 된 지원도 없었잖
아” 등등 많은 억울한 마음이 있었지만 말할 수 없었습니다.
심장은 뛰고, 입술을 바짝 바짝 마릅니다.
동일한 상황에 있는 B는 내면에서 전혀 다른 반응을 합니다. “이건 내
위기관리 능력을 보여줄 기회야”라고 생각합니다.
자신의 실패를 인정합니다. 짧은 심호흡으로 뇌의 열기를 식힌 뒤, 실패
를 통해 얻은 데이터를 차분히 꺼내 놓습니다. 그는 결국 "회복탄력성이
강한 인재"라는 평가를 받습니다.
<내면소통>의 저자 김주환 교수는 이것을 '마음근력 (Mind Strength)'의
차이라고 진단합니다.
무거운 짐을 들기 위해 근육이 필요하듯, 삶의 무게를 버티고 뚫고 나가
기 위해서는 마음에도 근육이 필요하다는 것입니다.
마음 근력을 구성하는 세 가지 핵심 능력을 말합니다.
첫째, 자기 조절력 (나 자신을 다루는 능력),
둘째, 대인 관계력 (다른 사람을 다루는 능력),
셋째, 자기 동기력 (세상일을 다루는 능력)입니다. 이것들은 서로 밀접
하게 연결되어 상호작용하며 개인의 성취 역량과 전반적인 삶의 질을
향상시키는 통합적인 방식으로 작동한다고 합니다.
근육의 원리가 만들어 지는 원리를 보면 역설적입니다.
근육은 편안할 때 성장하지 않습니다.
감당하기 버거운 무게를 들어 올려 근섬유가 미세하게 찢어지는 상처
를 받습니다.
시간이 지나면서 찢어진 틈이 아무르면서 근육이 만들어 집니다. 마음
도 마찬가지 입니다.
온실 속 화초처럼 자란 마음은 작은 바람에도 흔들립니다. 시련이라는
무게를 견뎌낸 마음은 아주 단단해 집니다.
사람들은 "너의 의지로 버티라"고 말합니다. 하지만 우리의 의지라는
근육은 생각보다 빈약합니다.
반복되는 시련 앞에서는 낡은 고무줄처럼 툭 끊어지기 쉽습니다. 내가
나를 조절하는 힘도, 타인을 사랑하는 힘도 내 안에서 짜내려고 하면 금
세 고갈됩니다.
성경은 "오직 여호와를 앙망하는 자는 새 힘을 얻으리라" (사 40:31 )고 말씀합니다.
묶다”라는 뜻이 있습니다. 한 가닥의 실은 쉽게 끊어집니다. 하지만
나의 연약한 실이 전능하신 하나님의 강한 줄과 꼬여서 하나가 될 때,
우리는 끊어지지 않는 강한 밧줄의 힘을 얻게 됩니다.
찢어진 근육이 다시 붙기 위해 영양분 (단백질)이 필요합니다. 마음도
마찬가지 입니다. 찢어진 마음의 틈으로 하나님의 줄이 들어와 내 연약 한 실 사이로 들어와 꼬여 묶이면서 <카바> 강한 마음의 근육이 만들
어 집니다. 상처와 시련이 없었다면 하나님의 능력은 내 겉면에만 머물
렀을 것입니다. 하지만 내 마음이 찢어졌기에, 하나님의 은혜는 내 깊은
속사람까지 스며들어오게 됩니다. 그렇게 세상이 끊을 수 없는 강한 마 음의 근육이 만들어 집니다.
진정한 회복 탄력성은 내 의지로 버티는 것이 아니라, 하나님과 단단히 결속되는 것에서 시작됩니다.
2026년에도 우리의 마음은 끊임없이 공격을 받게 될 것입니다. 도망만 다닐 수 없습니다.

'앙망하다' 의 히브리어 단어 <카바>는 “여러 가닥의 줄을 꼬아 하나로

영화 [신의
새벽 예배후 권사님에게 [영화 구경 갑시다.] 다들 얼굴이 환해진다.
그리고 하시는 말씀이 [우리 목사님은 젊어서 좋다니깐] 우리를 항상
젊게 그리고 밝게 해주어서 좋다고 한다. 사실 저도 영화가자고 하면 은
근히 기분이 좋아지기 때문이다.
영화 [신의 악단] 성도들과 함께 영화 보러 갈 마음이 있다. 아직 LA에
는 안들어 와서 자세한 내용은 잘 모른다. 다만 짧은 예고편 동영상을
통해서 알게 된 내용이다.
북한 당국이 돈이 없어서 쪼들리고 있는데 기독교 국제 연맹으로부터
2억달러 기부금을 주겠다는 연락을 받게 된다. 단, 조건은 국제 기독교
연맹을 중심으로한 부흥집회를 하라는 것이다.
위장된 가짜인지 진짜인지 보기 위함이라고 한다. 이런 배경 속에서 외
화벌이를 위해 [위장 찬양팀]을 만들라는 당의 명령을 받게 된다.
찬양팀의 이름이 [신의 악단]이었다.
북한 최초로 기독교 찬양팀이 이렇게 해서 만들어진다. 그 악단 팀 안에
는 보위장교가 있었고 악단을 감시하는 보위부 감시자가 있었다.
혁명사상으로 무장된 자들이다. 주체사상과 이념으로 찌들려져 북조선
의 병사들이다. 모두가 다 생짜들이다. 체제를 위한 도구이다.
위장된 잔양팀이다. 모든 예배와 찬양은 하나의 종교적 형식이요 틀일
뿐이다.
내가 [신의 악단]에서 보고 싶은 것 있다.
위장된 찬양을 부르는 가운데 어느 날 찬양이 마음을 통과하면서 빛의
실체를 경험하게 된다.
① 복음의 빛이 흑암 중에 비추어 온다.
② 찬양이 이념으로 무장된 마음을 녹아들게 한다.
③ 찬양의 가사가 영적 실체가 나타난다.





























