Skip to main content

PDF_VM_March_p1_p59

Page 1


*밸리매거진에서 제작한 모든 광고 디자인은 밸리매거진의 Written Permission없이

어떠한 용도로도 다른곳에 무단으로 사용될 수 없습니다.

*밸리매거진에 게재된 모든 광고는 광고주의 요청대로 게재한 것이므로 내용의

진위 여부에 대해 본사가 책임지지 않습니다.

*밸리매거진은 문제성있는 광고나 기사 게재를 거부할 수 있습니다.

데보라 홍 변호사

백동흠 힐링교회 담임목사

샤론 윤 변호사

소피아 양 부동산

수잔 김 베스트부동산대표

양 인 한양장로교회 임시목사

엔젤라 장 보험

윤미영 로즈몬트 치과원장

이상규 누스타 부동산

이준우 밸리커뮤니티교회 담임목사

이한주 보험

John Yang 옥스퍼드학원원장

조앤 홍 보험

지상문 독자

케빈 오 융자

크리스토퍼 정 스마일어게인 치과원장 - 함께 만드신 분들 -

채스워스에 99유닛 규모의

홈리스 주거 단지 개장

로스앤젤레스 패밀리 하우징은 샌퍼난도 밸리

채스워스 지역의 주택 부족 문제를 해결하기 위

해 개발된 99유닛 규모의 새로운 홈리스 아파

트 단지를 개장했다.‘The Cielo’ 라는 이름의

이 4층 건물은 커뮤니티룸, 코트야드, 세탁실, 그리고 반려견 놀이 공간을 갖추고 있다. 채스

워스 교통센터 인근에 위치하여 입주민들이 직

장, 병원 진료, 또는 지역 편의시설 이용에 편리

한 대중교통을 이용할 수 있다. LA 패밀리 하우

징은 샌퍼난도 밸리 북서부 지역의 노숙자를 위

한 주택 공급이 카운티의 다른 지역에 비해 부

족하다고 밝혔다. 특히, 장기적인 주거 안정을

돕고 노숙 생활로 다시 돌아가는 것을 방지하는 서비스가 제공되는 주택이 더욱 부족하다고 지 적했다. 이 프로젝트는 새로 건설된 5개의 모듈 형 지원 주택 단지 중 하나이며, 시에서 지원하 는 4천만 달러 규모의 ‘HHH 혁신 챌린지 어 워드’의 일환으로 자금을 조달했다. 해당 기금 은 LA 패밀리 하우징, 어도비 커뮤니티, 그리고

비영리 개발협력체인 Mercy Housing California

에 지원되었다.

LA 패밀리 하우징은 이번 지원금이 부지 선정, 설계 및 자금 조달 과정을 간소화하여 보다 영 구적인 지원 주택을 건설하는 데 필요한 비용과 시간을 줄이기 위해 마련되었다고 밝혔다. 이번

개장식에 채스워스를 포함하는 제12선거구를 대표하는 존 리 시의원도 참석했다. 존 리 시의원은 노숙자들을 거리에서 벗어나 장

기적인 안정으로 이끌기 위해서는 지원과 지속 적인 관리가 뒷받침되는 주택이 필요하다고 강 조했다.

100년 만에 처음으로 회색 늑대가 로스앤젤레스 카운티에 나타났다.

생물학자들이 지난 2월 로스앤젤레스 카운티 에서 100년 만에 처음으로 회색 늑대를 발견했 다. 이는 사냥꾼들에 의해 캘리포니아 주에서 거의 사라졌던 이 포식자들이 돌아오고 있다

는 신호다. 캘리포니아 주 어류 및 야생동물국 (CDFW)의 회색 늑대 담당자인 악셀 허니컷은

3살 된 암컷 회색 늑대(코드명 BEYO3F)가 툴레

어 카운티에서 약 125마일을 이동해 왔지만, 짝

을 찾아 지난 1년 동안 500마일을 이동했을 가

능성이 높다고 밝혔다. 2025년 5월, CDFW 생 물학자들은 이 늑대에게 주기적으로 위치를 알

려주는 신호를 보내는 목걸이를 부착했다.

지난 2월 이 늑대는 북쪽으로 이동하여 컨 카운

티에 도착했고 100년이 넘는 세월 동안 로스앤

젤레스 카운티에 늑대가 발을 들인 것은 이번이 처음이다.

2021년 11월, 늑대 한 마리가 오리건에서 남쪽

으로 이동하여 로스앤젤레스 카운티 경계에 도

착했다. 하지만 OR-93은 현재 BEYO3F가 머

물고 있는 곳 근처인 컨 카운티의 5번 고속도로

에서 차량에 치여 죽었다.

로스앤젤레스 쿠거 보호 운동 (Save L.A. Cougars)을 설립하기도 한 프랫은 BEY03F가

남쪽으로 가는 길에 5번 프리웨이를 피했고, 일

요일과 월요일에는 5번 프리웨이 동쪽이자 고

먼 북동쪽에 있는 레벡으로 향할 때도 마찬가지 였을 것이라고 추측했다. 대신, 프리웨이, 일반

도로, 개발 지역에서 멀리 떨어진 녹지대를 따

라 이동하고 있을 것으로 본다.

야생동물국(CDFW)의 허니컷은 목걸이 신호와 발자국을 확인한 생물학자들의 증거를 토대로 BEY03F가 테하차피 근처에서 58번 주도를 건

넜다고 말했다. 그는 또한 그녀가 80번 프리웨

이도 건넜을 것이라고 추측하지만 확신할 수는 없다고 덧붙였다.

캘리포니아에서는 1922년 이후 늑대가 사냥으

로 멸종되었다. 허니컷에 따르면 마지막 늑대는

샌버나디노 카운티에 있었다. 옐로스톤 국립공

원에 늑대가 다시 서식하게 되었고, 프랫은 그 곳에서 늑대를 연구했다.

회색늑대는 멸종 위기종이고 어떤 사람들은 회

색늑대를 코요테로 오인하기도 한다. 2014년에

는 회색늑대가 보호종으로 지정되어 사냥이 금

지되었고 전문가들에 따르면 캘리포니아에는

약 60마리의 회색늑대가 서식하고 있다.

밸리대한 노인회에서는 지난 12월을 무척 바쁜일정과 함께 새로운 프

로그램을 많이 경험 하며 보냈다.

늘 행사때마다 지역사회의 어르신들을위주로 추진해오던 “ 송년 음

악회”를 중심으로 이어지는 프로그램마다 흥이넘치고 기쁨가운데 보

낼수있었으니 뜻깊은 행사 였음을 다시한번 경험케 하였다.

무엇보다도 어르신들이 함께하는자리를 더욱훈훈하게 만들었던것은

그엣날을 회상하며 마음껏 열창을 할수있었던 노래자랑시간을 빼놓을

시간들을 함께

는 " 송년잔치" 였는데 그 자리에 남 녀 모두 가장 아름다운 옷차림으로

모여 모두가 한마음으로 서로에게 소망의 새해를기대하며 높이 올려

든 "Apple Cider " 잔에는 행복함이 듬쁙담긴 아름다운 추억의 시간이

기도 했다.

이렇듯 새로운경험을 많이하면서 보낸 12월에 이어 새롭게 시작된

2026년 새해에도 어김없이 찾아오는 "정월대보름" 행사는 해마다 노

인회 새해의 첫 행사를 시작하는 “ 민속놀이" 이자 유일하게 3대가 한 자리에서 즐기는 "윷놀이" 마당 행사였는데 지난 2월 28일(토), 밸리 대 한 노인회 잔디밭에서 성황리에 마쳤다.

밸리 대한 노인회는 노인의 권익 신장과 복지 향상을 위해 함께 성장하

고 나눔을 실천하는 한 해가 되도록 계속 노력하고 있다.

Business News

- 문의 : 최미란 회장 / 818-700-8550 김상우 한방병원, 한방

김상우 한방병원에서는 전통 한방 보약

으로 잘 알려진 경옥고와 동의한방 사향

원방공진단을 통해 면역력 증진과 원기

회복을 돕고 있다. 경옥고는 오랜 세월

동안 허약 체질 개선과 만성 피로, 기침, 면역력 저하에 사용되어 온 대표적인 보

약으로, 체력 회복과 전반적인 건강 증

진에 도움을 준다. 그리고 동의한방 사

향원방공진단은 사향을 포함한 전통 처방을 바탕으로 기혈을 보강하

고, 집중력 저하와 기억력 감퇴, 극심한 피로, 노화로 인한 체력 저하 개

선에 도움을 주는 고급 한방 처방으로 알려져 있다. 이와 함께 김상우

한방병원은 내과·신경과·정신과 관련 질환, 우울증과 불면증, 야간뇨 및 전립선 문제, 비뇨기 질환, 천식과 기침 등 만성 폐쇄성 질환, 노인성 변비 등 다양한 증상을 폭넓게 진료하고 있다.

이밖에 교통사고 후유증 치료 케이스도 전문적으로 다루며, 각종 건강

보험 및 메디케어 HMO 침 치료가 가능해 환자들의 접근성을 높이고

있다. OTC 카드 사용 또한 가능하다. 문의 및 예약: 818-966-0653

축구 동호회

샌퍼난도 밸리한인축구회에서 회원 모집!

바쁜 일상 속에서 건강을 챙기고 새로운 인연을 만들기는 쉽지 않다. 하

지만 공 하나만 있으면 자연스럽게 몸도 마음도 열리는 운동이 있다. 바

로 축구다. 샌퍼난도 밸리 지역에서 활동 중인 샌퍼난도 밸리 한인 축구 회는 축구를 사랑하는 모든 이들을 위한 건강한 모임으로, 지역 한인 사

회에 활력과 유대를 더하고 있다.

축구는 전신을 사용하는 대표적인 유산소 운동으로, 심폐 지구력 향상

은 물론 근력 강화와 체지방 감소에 큰 도움을 준다. 특히 정기적인 팀

운동은 혼자 하는 운동보다 꾸준히 참여하기 쉬워 운동 습관을 만드는 데 효과적이다. 경기 중에는 순간적인 판단력과 순발력이 요구돼 두뇌

활동에도 긍정적인 자극을 주며, 스트레스 해소에도 탁월하다.

샌퍼난도 밸리 한인 축구회가 더욱 주목받는 이유는 ‘모두를 위한 축

구’라는 점이다. 18세 이상이면 실력과 상관없이 누구나 참여할 수 있

어, 초보자부터 경험자까지 함께 어울리며 땀 흘릴 수 있다. 승패보다

팀워크와 즐거움을 중시하는 분위기 속에서, 자연스럽게 친목과 신뢰

가 쌓인다. 운동은 매주 목요일 오후 8시부터 10시, 일요일 오후 7시부

터 9시까지 진행되며, 장소는 Granada Hills High School Soccer Field이

안전하고 잘 정비된 구장에서 정기적으로 운동할 수 있다는 점도 큰 장점이다. 축구회 관계자는 “축구를 통해 건강은 물론, 서로 격려하고 응원하는 따뜻한 공동체를 만들어 가고 싶다”며 “운동을 사랑하는 분들이라면 누구나 환영한다.”고 전했다.

건강한 몸, 긍정적인 에너지, 그리고 평생 이어질 수 있는 인연까지 축 구 동호회 활동은 단순한 운동을 넘어 삶의 질을 높이는 소중한 시간이 된다. 참여 및 문의: James 818-935-3526

Community News

유희자 국악무용연구소

라크라센터 여성클럽에서 공연

지난 2월 11일에 글렌데일에 있는 La Crescenta Woman’s Club (4004 La Crescenta Ave)에서 한국 문화를 소개하는 시간을 가졌다. 경기

여고 후배인 63회 김윤경(Lori)이 한국인으로는 처음으로 이 클럽 멤

버가 되었고 이 클럽이 생긴지 100년이 지났는데 한국 문화를 한

번도 접한 적이 없었다고 하여 유희자 국악 무용 연구소를 초대하

고 $1,000 을 후원하여 이 행사를 가지게 되었다.

부채춤, 가야금 연주, 봄나들이, 난타와 탈춤을 선 보였고 회원들은 난

타를 직접 연주해 보며 여러 가지 다양한 프로그램을 본 감탄을 금치 못

했고 유희자, Jackie 윤, 이명애, 정정화, 사문커, 최순경, 윤은경, 조은선

이 공연에 참여 하여 한국에 대한 이해에 도움이 되는 귀한 시간을 가졌 다.

유희자 국악무용연구소는 전통예술 교육을 통해 성인뿐 아니라 청소년

들에게도 문화적 자긍심과 봉사의 가치를 심어주는 데 힘쓰고 있다. 지

역사회와의 협력을 바탕으로 전통예술을 배우고 나누는 다양한 프로그 램을 지속적으로 운영하며, 한국 문화의 우수성을 알리는 데 앞장서고 있다.

유희자 국악무용연구소는 전통 춤을 사랑하는 마음으로 한 걸음 한 걸

음 나아가며, 우리 문화의 아름다움을 더 많은 이들과 나누는 단체가 될 것이다. 그리고 앞으로도 전통을 향한 꾸준한 열정과 나눔의 무대로 지

역사회에 따뜻한 울림을 전할 것이다.

문의: (818) 456-8022

연락이

안 되는 ‘등록된 변호사(Attorney of Record)’

글 : 샤론 윤 변호사

캘리포니아 전문가 행동규칙에 따르면 변호사는 의뢰인에게 합리적으

로 알릴 의무가 있다고 말합니다. 하지만 고객의 질문이나 문의에 제때

응하지 않는 변호사가 있습니다. 이것은 많은 의뢰인들을 짜증나게 하

고 궁극적으로 변호사-의뢰인 관계의 붕괴로 이어집니다.

대부분의 변호사와 의뢰인 관계는 당사자 중 한 사람에 의해 깨질 수

있습니다. 그러나 변호사가 법원에 케이스를 등록 하면 그 변호사는 케

이스에 ‘등록된 변호사(Attorney of Record)’가 됩니다.

대부분의 변호사-의뢰인 관계는 당사자 중 어느 한쪽이 해지할 수 있

지만, 변호사가 법원에 사건을 접수하면 해당 변호사는 사건 담당 변호

사(등록된 변호사)가 됩니다. 이러한 경우, 법원은 변호사가 의뢰인을

대리하는 업무에서 해임되도록 허가해야 할 수도 있습니다. 사건 담당 변호사를 해임하는 방법에는 여러 가지가 있습니다.

첫 번째 그리고 비교적 쉬운 방법은 ‘Substitution of Attorney’이라고

불리는 사법 위원회 양식을 제출하는 것입니다. 이 양식은 a) 사건에서

제외되는 변호사, b) 사건을 넘겨받는 새

로운 변호사, c) 의뢰

인이 서명해야 합니

다. 이 양식은 법원

에 제출되고 새로운

변호사가 등록된 변

호사가 됩니다. 케이스 유형에 따라 의뢰인이 자신을 대변할 수 있습니 다.

두 번째 방법은 등록된 변호사가 케이스에서 손을 떼고 싶을 때입니다.

그 변호사는 'Notice of Motion and Motion to Withdraw'라고 불리는 사

법 위원회 양식을 제출할 것입니다. 그는 또한 그가 왜 그 사건에서 제

외되기를 원하는지에 대한 진술서를 첨부해야 할 것입니다. 그러면 법

원은 이 동의가 허가될 수 있는지 여부를 결정할 것입니다.

의뢰인이 변호인의 제외를 원치 않을 경우, 의뢰인은 이 제안에 반대할

수 있습니다.

세 번째 방법은 의뢰인이 그 소송에서 변호사를 빼내려고 할 때입니다.

작성해야하는 사법위원회 양식이 없습니다.

탄원서는 아마 새 변호사가 초안을 작성할 것입니다. 이것은 비용이 많

이 들 뿐만 아니라 변호사가 떠나게 될지도 확실하지 않습니다. 이번에

도 법원은 등록된 변호사의 퇴출 여부를 결정해야 할 것입니다.

저는‘등록된 변호사’가 의뢰인을 대신하여 법원에 유언 검인(probate)

문제를 제기한 사건을 담당한 케이스가 있었습니다.

‘등록된 변호사’는 사건 초기에는 그녀와 함께 일했지만, 팬데믹 이

후로는 의사소통을 중단했습니다.

의뢰인은 지난 4개월 동안 그와 연락을 시도했지만 그녀의 전화를 아직

받지 않았습니다.

법정은 한 달 동안 다시 열렸지만, 그로부터 아무런 연락도 없었습니다.

그녀는 마침내 조치를 취해서 그를 사건에서 제외시키기로 결정했습니

다. 그녀는 등록된 변호사의 서명 없이 변호사 교체를 법원에 제기했

고, 그녀는 등록된 변호인과 접촉을 시도 했다는 목록서와 함께‘의뢰

인의 진술서’를 작성했습니다.

일부 법원은 전 변호사의 서명이 없어도 대리인 교체를 허가할 수 있지 만, 이 법원은 이를 기각했습니다. 이제 그녀는 전 변호사를 해임해달라

는 탄원서를 제출할 수밖에 없습니다. 이 사건은 거의 1년 동안 법정 수

속에 들어 있었습니다.

의뢰인은 돈이 필요하지만, 유언 검인(Probate)에 걸려있는 자금을 그녀

의 개인적인 용도로 사용할 수는 없습니다.

그녀는 자금을 사용할 수 있도록 이 사건을 마무리 짓고 싶지만, 먼저

전 변호사를 퇴출해야 합니다.

이 유언 검인(Probate) 소송은 거의 1년 동안 법원에 계류 했습니다. 의

뢰인은 돈이 필요하지만, 상속 재산을 개인적인 용도로 사용할 수 없습

니다.

그녀는 이 사건을 마무리하여 자금을 사용할 수 있기를 간절히 바라고

있지만, 그러기 위해서는 먼저 이전 변호사를 해임해야 합니다.

적시에 대응하고 고객에게 합리적으로 알리는 변호사가 대리인을 맡는

것이 매우 중요합니다.

법정에서 당신을 대리할 변호사가 필요하다면, 샤론 윤 변호사에게 연

락하세요. 805-298-0405

데보라 K. 홍 변호사 310-560-3873

1. 음주운전 체포 후 절차 이해하기

a) 즉각적인 행정 조치

* 캘리포니아에서 음주운전으로 체포되면, 경찰관은 일반적으로 운전 면허증을 압수하고 30일 동안 유효한 임시 면허 정지 통지서를 발부합 니다.

* 혈중알코올농도가 0.08% 이상이거나 화학 검사를 거부한 경우, DMV(캘리포니아 차량관리국)에서 자동으로 운전면허를 정지합니다. b) 두 가지 별도의 면허 정지

* DMV 면허 정지(행정적 정지): 혈중알코올농도가 너무 높거나 검사를

거부하는 경우 즉시 발생합니다.

* 법원 명령에 의한 면허 정지(유죄 판결 시): 이는 별개이며 기간이 더 길 수 있습니다.

2. 행정적 면허 정지에 이의 제기하기(가능한 경우)

체포 후 10일 이내에 DMV 청문회를 요청할 수 있습니다. 자동 면허 정 지를 피하려면 이 절차가 매우 중요합니다.

* 청문회에서 정지, 체포 또는 검사 절차의 적법성에 대해 이의를 제기 할 수 있습니다.

* 청문회에서 승소하면 면허 정지가 취소될 수 있습니다.

* 10일의 유예 기간을 놓치면 임시 허가증 만료와 동시에 DMV에서 자

동으로 운전면허를 정지합니다.

3. 운전면허 유지 또는 복원을 위한 조치 캘리포니아에서는 특히 SB 1046과 같은 법률에 따라 제한적 운전면허

를 유지하거나 면허를 더 빨리 복원할 수 있는 방법을 제공합니다. a) 주정부 공인 음주운전 교육 프로그램 등록 * 법원과 DMV에서 요구하는 주정부 승인 음주운전 교육 또는 치료 프 로그램에 등록해야 합니다.

* 기간은 위반 유형에 따라 다릅니다(예: 대부분의 초범은 3개월, 혈중

알코올농도가 높거나 재범인 경우 더 길 수 있음).

b) 시동 잠금장치(IID) 설치

* 캘리포니아 법에 따라 시동 잠금장치를 설치하고 필요한 경우 면허정 지를 피하거나 정지 기간을 단축할 수 있습니다.

* 2026년부터 시행된 새로운 법률은 일반적으로 음주운전 위반자에게 시동 잠금장치 설치를 의무화합니다.

c) SR-22 보험 증명서 발급 및 유지

* SR-22 증명서는 주정부에서 요구하는 최소 책임보험에 가입되어 있 음을 증명하는 서류이며, 일반적으로 3년간 유지해야 합니다.

* 보험 회사가 DMV(차량관리국)에 SR-22 증명서를 제출합니다. SR22 증명서를 갱신하지 않으면 면허 정지기간이 연장될 수 있습니다.

d) 필요한 수수료 납부

* DMV는 면허 재발급 수수료(음주운전 면허 재발급의 경우 보통 약 125달러)를 부과합니다.

* 법원 벌금 및 음주운전 교육 프로그램 참가비도 납부해야 할 수 있습 니다.

4. 제한된 운전면허증

면허 정지 기간 중에도 제한된 운전면허증을 발급받을 수 있습니다.

제한된 면허 종류

* IID(음주운전 방지장치) 장착 제한된 면허증 → 차량에 IID가 설치되어

정상적으로 작동하는 경우 어디든 운전할 수 있습니다.

* 제한 면허증(IID 미장착) → 필수적인 목적(업무, 학업, 음주운전 교육

프로그램)으로만 운전할 수 있습니다.

제한 면허증은 면허가 완전히 재발급되기 전까지 이동에 필요한 교통 수단을 제공합니다.

5. 운전면허 완전 복원 필요한 운전정지/제한 기간을 이행하고 모든 조건을 준수한 후에는 다 음 사항을 이행해야 합니다.

* 음주운전 교육 프로그램 이수 (수료증을 DMV에 제출)

* 필요한 기간 동안 SR-22 보험 유지

* (필요한 경우) 의무 기간 동안 음주운전 방지장치(IID) 설치 유지

* 모든 법원 및 DMV 수수료 납부

* DMV에 운전면허 복원 신청서 제출

위 사항들을 모두 충족하면 DMV에서 운전면허를 완전 복원해 줍니다.

음주운전 후 운전면허 유지를 위한 주요 팁

* 체포 후 10일 이내에 DMV 청문회 요청.

* 조기에 행동 - 음주운전 교육 프로그램 등록 및 SR-22 보험 가입 즉

시 시작.

* 모든 법원 명령 및 기한 준수. 이를 준수하지 않을 경우 운전면허 정지 기간이 연장되거나 취소될 수 있습니다.

* SR-22 및 (필요한 경우) 음주운전 방지장치(IID)를 중단 없이 유지. 운

전 중 단속에 걸리면 더 큰 처벌을 받을 수 있습니다.

마무리

* 캘리포니아 음주운전 관련 법률은 복잡하며, 전과가 있을수록 처벌이 가중됩니다.

* 특히 직장이나 가족 때문에 운전면허를 유지해야 하는 경우, 캘리포 니아 법률에 정통한 음주운전 전문 변호사와 상담하는 것이 가장 좋습 니다. 변호사는 DMV 청문회와 법정에서 도움을 줄 수 있습니다.

"DSCR 융자, 투자 구조를 아는 사람은 접근 방식이 다릅니다."
LLC 클로징,

최근 투자용 부동산 상담에서 가장 많이

언급되는 대출 프로그램 중 하나가 바로

DSCR(Debt Service Coverage Ratio) 융자

입니다. 많은 분들이 “소득을 보지 않는 투자용 대출” 정도로만 이해

하지만, 실제로 DSCR 융자는 어떻게 구조를 설계하느냐에 따라 장기

투자 전략의 성패를 가르는 도구가 될 수 있습니다.

특히 이번 칼럼에서는 단순한 프로그램 설명을 넘어,

① LLC로 클로징하여 개인 크레딧에 부담을 최소화하는 구조,

② 현재 거주 중인 주택의 에퀴티를 활용해 다운페이먼트를 마련하는 방법,

③ Projected Rental Income을 기반으로 장기 투자 전략을 세우는 요 령을 중심으로 DSCR 융자를 보다 심도있게 살펴보고자 합니다.

DSCR 융자의 본질 :‘사람’이 아닌 ‘부동산’을 봅니다.

모기지 전문가, 케빈 오

NMLS# 1985037

DSCR 융자의 가장 큰 특징은 대출 심사의 중심이 차입자의 개인 소득

이 아니라 해당 부동산의 수익성이라는 점입니다.

즉, 이 부동산이 스스로 모기지 페이먼트를 감당할 수 있는지를 기준으

로 대출 가능 여부를 판단합니다.

예를 들어, 예상 렌트 수입이 월 $4,500이고, 모기지·세금·보험을 모

두 포함한 월 비용이 $3,600이라면 DSCR은 1.25로 계산됩니다. 일반적

으로 1.0 이상이면 검토가 가능하며, 수치가 높을수록 조건은 더 안정적

으로 평가됩니다.

이 구조는 세금 절감 전략으로 보고 소득이 낮게 잡혀 있는 투자자, 이 미 여러 채의 부동산을 보유한 분들, 또는 은퇴 후 근로소득은 줄었지만

자산 운용을 원하는 분들께 특히 유리합니다.

LLC로 클로징하는 이유 : 개인 크레딧을‘가볍게’유지하기 위해

DSCR 융자의 중요한 전략 포인트 중 하나는 LLC(법인) 명의로 클로징 하는 구조입니다.

LLC로 클로징할 경우, 해당 모기지는 일반적으로 개인 크레딧 리포트 에 부채(Liability)로 직접 반영되지 않는 구조로 설계할 수 있습니다.

개인 명의로 투자용 부동산을 계속 늘릴 경우, 실제 현금 흐름이 충분 가 점점 무거워질 수 있습니다. 반면

LLC 구조를 활용하면 아래와 같은 장점이 생깁니다.

u 추가 투자 시 크레딧 부담 최소화 u 투자와 개인 재정을 분리 관리

물론 대부분의 경우 개인 보증(Personal Guarantee)은 요구되지만, 리포 팅 구조 자체가 다르다는 점은 장기 투자자에게 매우 중요한 요소입니 다.

다운페이먼트 전략: 현재 거주 주택의 에퀴티를 활용할 수 있습니다.

DSCR 융자는 일반적으로 20~25% 수준의 다운페이먼트를 요구합니 다. 이때 많은 분들이 그 다운페이먼트를 어떻게 준비하지라는 고민을 하게 됩니다.

여기서 활용할 수 있는 전략이 바로 현재 주거주지의 에퀴티를 활용한

HELOC 오픈입니다. 이미 상당한 에퀴티가 쌓인 주택을 보유하고 있다 면, HELOC을 통해 유동성을 확보하고 이를 투자용 부동산 다운페이먼 트로 활용할 수 있습니다.

이 방식의 핵심은 다음과 같습니다.

u 기존 자산을 팔지 않고

u 새로운 투자 기회를 만들며

u 현금 흐름을 분산 관리할 수 있다는 점

Business News

특히 DSCR 구조에서는 투자 부동산 자체의 렌트 수익으로 새 모기지 를 감당하는 구조이기 때문에, HELOC은 초기 진입을 위한 도구로 활

용되고 장기적으로는 투자 포트폴리오 전체의 효율을 높이는 역할을 하게 됩니다.

Projected Rental Income, 숫자를 ‘보수적으로’ 설계하라.

DSCR 융자에서는 실제 렌트 계약이 없는 경우에도 Projected Rental Income(예상 렌트 수입) 을 기준으로 심사가 진행되는 경우가 많습니

다. 이는 Appraisal Report에 포함된 Market Rent 분석을 기반으로 합니다.

여기서 중요한 포인트는 보수적인 접근입니다.

최대치 렌트수입을 기준으로 계산하기보다는, 공실 가능성,·관리 및

유지 보수 비용까지 고려해 현실적인 현금 흐름을 기준으로 전략을 세

워야 장기적으로 흔들리지 않습니다.

단기 수익만 보고 결정하면, 시장 변동 시 부담이 될 수 있습니다. 반면

처음부터 여유 있는 구조로 설계하면, 시간이 지날수록 안정적인 투자

자산으로 자리 잡을 가능성이 높아집니다.

DSCR은 1 Unit 만을 위한 대출이 아닙니다

DSCR 융자는 단발성 투자보다 포트폴리오 확장 전략에 더 잘 어울리 는 프로그램입니다.

LLC 구조, 개인 크레딧 관리, 에퀴티 활용, 현금 흐름 분석을 함께 설계

하면 단지 1 Unit 투자가 아니라 여러 Unit 투자를 운용하기 위한 기반”

이 됩니다.

다만 모든 투자자에게 동일한 구조가 정답은 아닙니다.

지역, 렌트 시장, 개인 재정 상태에 따라 접근 방식은 달라져야 하며, 이

때문에 사전 시뮬레이션과 구조 설계가 필수입니다.

마무리하며

DSCR 융자는 단순히 “소득을 안 보는 대출”이 아닙니다. 어떻게 클

로징하고, 어떤 자금을 쓰고, 어떤 구조로 가져가느냐에 따라 장기 투

자 성과를 완전히 바꿀 수 있는 전략적 도구입니다.

이미 주택을 보유하고 있고, 다음 단계의 투자를 고민하고 있다면 “가 능한가?”를 묻기 전에 “어떻게 설계하는 게 가장 효율적인가?”를 먼

저 점검해볼 필요가 있습니다. 그 차이가 몇 년 후 투자 포트폴리오의

깊이를 결정하게 됩니다.

DSCR 융자 상품을 통해서 투자용 주택구입을 고려한다면 전문가의 도

움을 받는게 현명합니다.

문의) 모기지 전문가 케빈오 T. 213-219-2688

“ 새로운 해가 시작 되며 주의해야 할 점 ”

엔젤라 장 보험 (323-707-4242, 213-908-5100)

새해가 시작되면 대부분 모든 것이 바뀌기 때문에 많은 문제가 발생한다.

주로 많이 발생하는 문제는 대부분이 아이디카드 이다. 새해가 시작 되

어서도 많은 분들이 아이디카드를 못 받으시는 분들이 있다. 그런데 당

장 의사를 만나러 가야 할 땐 어떻게 해야 할까?

첫 번째 방법은 온라인으로 본인의 어카운트를 만드는 방법이 있다.

각 보험회사는 개개인의 온라인 웹사이트가 있다. 그래서 그 웹사이트

에서 본인의 어카운트를 만들면, 가입자 본인 보험의 전반적인 정보를

확인을 할 수가 있음과 동시에 보험 카드도 임시로 프린트가 가능하다.

그래서 그 카드를 핸드폰에 저장해 의사 오피스에 보여줄 수도 있다.

그런데 어떤 주치의 사무실에서는 환자 파일에 copy 해 놓기를 원해서

꼭 멤버 아이디를 지참하기도 한다. 또 많은 시니어 분들이 온 라인에

들어가서 일일이 다 만들기는 어렵기 때문에, 본인의 에이전트한테 물

어보면 에이전트가 사용하는 웹사이트에서 해당 에이전트의 손님들의 아이디카드를 프린트 할 수 있기 때문에 그 방법을 통해 카톡이나 문자

로 전달 받을 수도 있다. 하지만 모든 보험회사가 이 기능을 제공하는 것이 아니다. 그래서 만약 이 기능이 안 되는 보험회사를 가입 등록했다

면 그 다음 방법은 보험회사 멤버 서비스에 직접 전화하는 방법이다. 직접 전화를 하면, 어떤 보험회사들은 임시 카드를 이메일로 보내주 는 회사도 있는 반면, 그런 서비스가 제공되지 않는 회사라면 Eligibility

Form 이라는 것을 의사 오피스에 팩스를 해달라고 하면 된다. 그 양식 에는 본인 개인정보와 지정되어 있는 의사 정보가 있기 때문에 그것을 통해서도 의사를 방문이 가능하다.

두 번째로 문제가 되는 것은 약국이다. 약국 또한 새로운 해가 시작되면

보험사가 바뀌었으면 업데이트를 반드시 해줘야 한다. 그리고 약은 보

험회사가 커버를 하는 것이 아니라 보험회사가 다른 제약회사와 계약

을 맺어서 그 제약 회사를 통해서 커버를 하는 것이기에 내가 아무것도

바꾸지 않았더라도 만약 보험회사가 새로운 해에 다른 제약 회사와 계

약을 맺었으면 내

정보도 그에 따라 바뀌게 된다. 약국에서 클레임을 할 때 쓰는 번호는

Rx으로 시작하는 번호라 내 멤버 아이디가 동일하더라도 만약 이 Rx 번

호가 바뀌었다면 약이 커버가 되지 않을 수 있으므로 반드시 매년 업데

이트하길 바란다.

위 두 가지 사항은 에이전트에게 전화하는 것이 가장 빨리 해결 할 수 있는 방법 중에 하나이므로 본인 에이전트에게 전화해서 해결 방법을

장례보험, 남은 가족을 위한 마지막 준비

우리는 평생을 가족을 위해 준비하며 살아갑니다.

자녀 교육, 주택 마련, 은퇴 자금까지 계획하지만 정작 인생의 마지막

준비는 미루는 경우가 많습니다. 그러나 장례는 누구에게나 찾아오는 현실입니다.

준비가 되어 있지 않으면 남은 가족은 갑작스러운 슬픔 속에 당황하며

경제적인 부담까지 감당해야 합니다.

미국 내 장례비용은 지역과 형태에 따라 다르지만, 일반적으로 $8,000

불~ $10,000불 이상이 소요됩니다.

관, 화장 또는 매장 비용, 장례식장 사용료, 행정 절차 비용 등 예상보다

다양한 항목이 포함됩니다. 이러한 부담을 대비하기 위한 방법 중 하나 가 ‘장례보험(Final Expense Insurance)’입니다.

n 장례보험이란 무엇인가

장례보험은 사망 시 보장된 보험금을 유가족이 아닌 장의사에게 직접

지불하여 장례 비용과 관련 지출을 빠르게 진행하여 슬픔에 쌓인 유가 족의 부담을 없애는 보장성 보험입니다.

대부분의 상품은 비교적 간단한 절차로 가입이 가능하며 유병자,암환

자, 90세넘은 고령자도 가입가능하며 보험료가 고정되어 예측 가능하

다는 장점이 있습니다.

또한 장례비에 쓰고 남은 보험금과 불입한 현금은 모두 유가족에게

100% 환불을 해드립니다.

n 왜 미리 준비해야 하는가

보험은 건강할 때, 가입이 가능할 때 준비하는 것이 중요합니다.

연령이 높아질수록 보험료는 상승하고, 건강 상태에 따라 가입이 제한

될 수 있습니다.

특히 50-60대는 은퇴 준비와 재정 점검을 시작하는 시기입니다.

왜!?? 50-60대부터 준비해야 할까 !! ?? 많은 분들이 “아직 이르다”

고 생각하지만

보험은 건강할 때, 나이가 젊을 때 준비하는 것이 더 저렴하게 가입할

수 있습니다.

나이가 들수록 보험료는 올라가고 건강 상태에 따라 가입조건이 다를

수도 있습니다.

50-60대는 자녀가 성장하고 은퇴를 준비하는 시기로 재정 구조를 점 검하기에 가장 적절한 시기입니다.

이 시기에 자신의 재정 상황을 점검하며 최소한의 장례비용을 대비해

두는 것은 가족을 위한 책임 있는 선택이 될 수 있습니다.

n 마지막 배려

장례보험은 죽음을 준비하는 것이 아니라, 남은 가족의 부담을 덜어주

는 선택입니다.

갑작스러운 상황 속에서도 가족이 비용 걱정 대신 고인을 추모하는 시

간에 집중할 수 있도록 돕는 것이 목적이며 작은 준비가 큰 안심이 될 수 있습니다

장례보험은 ‘사랑의 표현’입니다

장례보험은 죽음을 준비하는 보험이 아니라 남은 가족의 부담을 덜어

주는 보험입니다.

갑작스러운 상황 속에서 장례비용 걱정 대신 고인을 추모하는 시간에

집중할 수 있도록 돕는 것이 장례보험의 가장 큰 의미입니다.

전문가와 상담을 통해 자신의 상황에 맞는 금액과 구조를 선택하는 것 이 중요합니다.

인생의 마지막 준비는 두려움이 아니라 배려에서 시작됩니다.

지금 준비하는 작은 선택이 훗날 가족에게는 큰 안심이 될 수 있습니다.

보험은 필요할 때 가입하는 것이 아니라 가입할 수 있을 때 준비하는 것 입니다.

Guardian Circle Funeral Plan 한인담당 323-628-5376

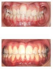
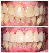
스케일링을 자주 하면 치아가 약해질까요?

Smile Again Dental Group 818-776-9300

치과에서 스케일링을 권하면 많은 분들이 이렇게 묻습니다.

“자주 하면 치아가 깎이는 것 아닌가요?”

“예전에 하고 나서 이가 시렸는데, 그래서 안 하는 게 더 좋은 거 아닌

가요?”이런 걱정 때문에 정기적인 관리를 미루는 경우도 적지 않습니 다. 하지만 결론부터 말씀드리면, 정기적인 스케일링이 치아를 약하게

만들지는 않습니다.

스케일링은 치아 표면에 붙어 있는 치석과 플라그를 제거하는 과정입 니다.

치석은 음식물이 아니라 세균이 뭉쳐 굳어 돌처럼 단단해진 상태로, 칫 솔질만으로는 제거되지 않습니다. 그래서 초음파 기구나 전용 기구를

이용해 치아 표면에 붙어 있는 치석을 떼어내는 것이지, 건강한 치아 구

조를 갈아내는 치료가 아닙니다.

그렇다면 왜 스케일링 후에 치아가 약해진 느낌이 들거나 시린 증상

이 생길까요?

그 이유는 치석이 오랫동안 두껍게 붙어 있었던 경우에 있습니다. 치석

이 마치 보호막처럼 치아 뿌리 부분을 덮고 있다가 제거되면, 원래 드러

나 있어야 할 치아 표면이 갑자기 외부 자극에 노출되면서 일시적으로

시린 증상이 나타날 수 있습니다. 이는 치아가 손상된 것이 아니라 원래

상태로 돌아가면서 적응하는 과정에 가깝습니다.

대부분은 며칠에서 12주 사이에 점차 완화됩니다. 오히려 더 주의해야

할 것은 스케일링을 하지 않는 경우입니다.

치석 속 세균은 잇몸에 염증을 일으키고, 염증이 반복되면 잇몸뼈가 서

서히 녹기 시작합니다. 통증이 거의 없어 자각하기 어렵지만, 진행되면

치아가 흔들리게 되고 결국 발치로 이어질 수 있습니다.

많은 분들이 “이가 약해졌다”고 표현하는 진짜 원인은 스케일링이

아니라 치료받지 않은 치주염인 경우가 많습니다.

일반적으로는 6개월에 한 번 스케일링을 권장하지만, 흡연을 하거나 치

석이 잘 생기거나 잇몸 염증이 잦은 분들은 34개월 간격이 더 적절할 수 있습니다. 중요한 것은 횟수 자체가 아니라 개인의 구강 상태에 맞 춘 관리입니다.

치과 치료는 문제가 생긴 뒤에만 받는 것이 아니라, 문제가 커지지 않도 록 막는 것이 더 중요합니다.

스케일링은 치아를 약하게 만드는 시술이 아니라, 치아와 잇몸을 오래

건강하게 유지하기 위한 기본적인 예방 관리입니다.

혹시 스케일링이 두려워 미루고 계셨다면, 오늘은 한 번 생각을 바꿔보 셔도 좋겠습니다.

정기적인 관리는 치아를 깎는 것이 아니라, 소중한 치아를 지키는 가장 안전한 방법입니다.

메디케어 전문 상담가 조앤 홍이 알려드립니다. 문의 : 조앤홍 (818) 606-9486

3월은 메디케어만 가진분에게는 메디케어 플

랜을 자유롭게 바꿀 수 있는 마지막 달 입니

다. 12월에 보험 플랜을 바꾸신 분이나 안

바꾼 분들은 현재 가지고 있는 플랜에 관해 한번 더 숙고 하세요.

저는 항상 3월에 여행을 가기 때문에 토요일

노스리지 갤러리아 마켓 (오후 12시-4:00 PM) 에는 3월 21일(토요일)

부터 있읍니다. 급한 일이시면 전화 주세요. 궁금 한점 있으면 가능 하면 미리 전화로 (818-606-9486) 약속하고 오세요.

***2월에 가장 많이 받았던

질문 1. 보험회사 관련 ***

질문 1) 저는 1월에 보험을 바꿨는

데 (치과가 1년에 $800 커버해주 는 플랜) 갑자기 이가 빠져서 임 플렌트를 해야 해요. 현재 가지고

있는 플랜은 치과비용으로 제가 돈을 내야 합니다. 저는 메디 케어만 가지고 있어요. 좋은 방법이 있으면 알려 주실래요?

답) 이런 경우는 등록해 준 에이전트와 만나서 여러가지를 고려 해서

자세하게 하나씩 비교하고 결정하세요. 우선 임플렌트를 커버해주는 보험회사는 아스티바 보험, 클레버케어 보험, 스캔 보험회사가 있어요. 각 보험회사의 플랜마다 베네핏이 다르고 치과의사들의 의견이 다르

니까 여러 가지를 비교해서 결정하세요.

질문 2) 저는 네트워크가 적은 메디칼 그룹에 들어 있는데 갑

암 판정이 나왔어요. 지인들이 시더스 사이나이나 UCLA 그룹이 있는 보험으로 바꾸라고 하는데 선뜻 용기가 나지 않 아요. 언어 문제, 오래 동안

답) 암 판정이 나왔다면 우선 암을 고칠수 있는 최선의 방법을 알아 봐

야 되겠죠.

제 개인적인 의견을 묻는다면

1. 보험보다도 네트워크가 적은 그룹보담은 큰 네드웍워크를가진 그룹

으로 바꾸세요

2. 보험플랜은 Part B 리베이트 플랜을 가지고 있다면 Full Cover가 되

는 플랜으로 바꾸시구요.

3. UCLA나 시더스 사이나이그룹 같지는 않지만 한국분이 많은 서울 메디칼그룹도 많은 분에게 좋은 평가를 받고 있어요.

4. 그래도 걱정이 된다면 UCLA 나 시더스 사이나이 메디칼 그룹 같이 큰 메디칼 그룹이 속해 있는 큰 보험회사 플랜으로 바꾸는걸 추천합니 다.

***

질문 3) 저는 메디-메디 클레버케어 플랜을 가지고 있는데 같

은 플랙스 카드 가지고 다른 사람들은 마켓에 사용가능 한데 제 카드은 안돼요. 멤버 서비스에 전화를 했더니 SSBCI 어쩌 구 하는데 이해가 안돼요. 설명 부탁 드려요.

답) 보험회사에 문제가 있는건 아니고 2026년부터 마켓에 관해 메디칼 법이 바뀌었습니다.

2025년 까지는 메디칼 있는 분들은 플랙스 카드를 가지고 마켓에 사용 이 가능 했지만 2026년 부터는 메디칼을 가진분들도 마켓을 보려면 특

별한 건강 컨디션이 있는 분들만 가능 합니다. 이 컨디션을 메디케어

SSBCI (만성 질환자를 위한 특별 부가 혜택)이라고 하며 메디케어 어드

밴티지 (Part C) 의 구체적인 혜택은 보험사 및 플랜마다 달라요 .

보험회사 멤버 서비스에 물어 보거나 에이전트에게 알아 보세요. 질문

하신분은 SSBCI 컨디션이 없어서 마켓이 안되는것 같아요.

질문 4) 플랙스 카드 가지고 H-마켓, 한남 체인, CVS, 월마트 등등 갈수 있는건 알고 있는데 지인이 코스코도 갈 수 있다고 해요. 플랙스 카드는 매스터카드이고

리스트가 길어서 여러분에게 필요한 몇곳만 적어요

아스티바 : Costco, 갤러리아 마켓, 타겟, H-마켓, 한남 체인, CVS, 월 마트, Ralph, Albertsons, Food4less, Dollar General, 등등

클레버케어: Costco, 갤러리아 마켓, Trader Joes, H-마켓, 한남 체인, CVS, Ralph, Albertsons, Food4less, Dollar General, Vons, 등등

Scan : Costco, 갤러리아 마켓, H-마켓, Ralph, Albertsons, Food4 less, 등등 *** 메디칼 리뉴얼 (Renewal) ~ 꼭 작성해서보내세요 ***

질문 5) 아버지께서 메디케어와 메디칼을 다 가지고 계시는데

받았어요.

끊어졌다고 해요. 어떻 게 해결해야 하나요? ㅠㅠ

답) 아마 메디칼이 끊어진것 같아요. 메디칼이 끊어지면 메디칼에서 메 디케어 프리미엄을 내주지 않아요~ 메디케어는 당연히 캔슬 됩니다.

속상해 하지 마시고 아래의 과정을 따라서 해결 하세요.

1. 많은 분들이 메디칼 리뉴얼을 제때 안하면 생기는 일이예요.

우선 메디칼 오피스에 가서 왜 캔슬이 됬는지 알어 보세요. 리뉴얼을 안 했다고 하면 오피스에서 리뉴얼을 도와 달라고 하면 그자리에서 리뉴

얼을 도와 줍니다.

2. 아버지께서 몸이 아프셔서 보험이 당장 필요 하다고 하고 약도 필요 하고… 빨리 수속을 해달라고 하면 보통 1달안에 메디칼이 허락한다고 연락이 옵니다.

3. 메디칼에서 허락통지를 가지고 메디케어 오피스에 갑니다. 메디케 어에 메디칼 허락서를 보여주고 메디케어 A&B를 재신청 하세요.

4. 메디케어가 나오면 곧 에이전트에게 연락해서 보험을 재 등록하세요.

5. 이 기간이 보통 1-2달 걸립니다. 메디칼 리뉴얼만 제때 했으면 안할 고생이에요.ㅠㅠ

* 요즈음 메디칼 취소 질문이 자주 옵니다. 리뉴얼 서류 기간 안에 꼭

~ 제출 하세요.

사용하려면 코스코 멤버쉽이 있어야 합니다. 플랙스카드를 데빗카드로 사용해야 해서 핀넘버가 필요합니다.

멤버 서비스에 전화해서 핀넘버를 받아서 사용 하세요.

궁금한점 있으시면 시니어 에이전트 조앤 홍 (818)606-9486 에게

연락 주세요

제니는 모든 것을 갖춘 학생이었습니다.

평점은 4.35였고, SAT 점수는 1520점이었습니다.

우등생모임의 회장이자 테니스부 주장이었고, 매

주 주말마다 교회에서 봉사활동을 했습니다. 한

국어와 영어도 유창하게 구사했습니다.

서류상으로는 완벽해 보였습니다.

하지만 3월에 대학 합격 통지서가 왔을 때, 제니는 UCLA, UC 버클리, USC를 비롯한 모든 아이비리그 대학에서 불합격 통보를 받았습니다.

UC 리버사이드와 UC 머세드에만 합격했습니다.

지난 4월, 제니의 어머니는 혼란스럽고 상심한 표정으로 제 사무실에

앉아 있었습니다. 제니는 이전에는 저희와 상담한 적이 없었습니다. 불

합격 통지서를 받은 후에야 저를 찾아와 진정서(appeal letter)를 쓰는 데

도움을 요청했습니다.

"이해가 안 돼요." 어머니는 말했습니다. "제니가 뭘 더 할 수 있었단 말

이에요?"

저는 어머니께 힘든 이야기를 해드려야 했습니다. 진정서를 쓴다고 해

서 합격 여부가 바뀔 가능성은 낮다는 것이었습니다.

진짜 문제는 몇 달 전, 제니가 대학 에세이를 썼을 때 발생했던 것이었 습니다. 옥스퍼드 학원에서 25년을 보낸 저는 그 실수를 즉시 알아차렸 습니다.

제니의 성적은 훌륭했습니다. 시험 점수도 훌륭했습니다. 하지만 그녀

의 대학 입학 에세이는 제가 매년 한국 학생들이 저지르는 가장 흔한 실

수를 저질렀습니다.

그녀의 에세이는 완벽했지만, 완전히 잊혀질 만한 것이었습니다.

대학 에세이에 대한 냉혹한 진실

대부분의 가족들이 모르는 사실이 있습니다.

대학입학사정관들은 UCLA나 USC 같은 명문대에 지원하는 학생들의

에세이를 읽기 전에 이미 GPA와 시험 점수를 알고 있습니다. 대부분의

지원자는 성적이 우수합니다. 에세이는 학생이 진정한 자신을 보여줄

수 있는 유일한 기회입니다.

하지만 대부분의 한국 학생들은 이 기회를 낭비합니다.

그들은 인상적인 에세이를 씁니다. 자신의 성취를 나열하고, 열심히 노

력해서 부모님을 자랑스럽게 만들었다는 이야기를 합니다. 대학이 듣

고 싶어 할 만한 내용을 쓰는 것입니다.

하지만 입학사정관들은 에세이를 읽고 나서 잊어버립니다.

한국 학생들의 에세이를 망치는 세 가지 실수 실수 1: 성장이 아닌 성취에만 집중하기

많은 한국 학생들이 다음과 같은 에세이를 씁니다.

에세이 실수

"저는 팀의 주장이 되기 위해

열심히 노력했습니다. 그 과

정에서 헌신과 리더십의 중

요성을 배웠습니다. 이러한 자질을 귀 대학에 가져오겠습니다."

듣기에는 좋지만, 대학입학사정관들은 매년 수천 편의 이런 에세이를

읽습니다. 이런 에세이는 학생이 무엇을 성취했는지 보여줄 뿐, 학생이

어떤 사람인지는 보여주지 않습니다.

입학 사정관들이 실제로 알고 싶어 하는 것은 다음과 같습니다. 세상을

보는 관점을 바꾼 순간은 무엇이었습니까?

무엇에 실패했고, 무엇을 배웠습니까? 아무도 보지 않을 때 무엇을 생

각합니까?

입학 사정관들은 성취 목록이 아니라 성장을 보고 싶어 합니다.

실수 2: 지나친 겸손 - 개성과 자기주장 부족 한국 문화는 아이들에게 겸손함을 가르칩니다. 자랑하지 말고, 타인을 존중하고, 가족을 우선시하도록 가르칩니다. 아름다운 가치관이지만,

Education

입학 에세이를 망칠 수도 있습니다. 한국 학생들이 겸손한 어조로 에세

이를 쓸 때, 흔히 "부모님께서 저를 위해 많은 희생을 하셨습니다. 좋은

교육을 받고 좋은 직장을 얻어 그분께 보답하고 싶습니다."와 같은 말을

합니다. 이는 솔직하고 존경심을 담은 표현이지만, 입학 사정관들이 매

년 읽는 수많은 에세이와 다를 바 없어 보입니다.

명문 대학들은 바로 자신의 목소리, 자신만의 구체적인 생각, 자신만의

독창적인 아이디어, 그리고 불편하거나 완벽하지 않더라도 솔직한 감

정을 듣고 싶어 합니다.

다른 사람들과 똑같은 에세이는 잊혀지기 마련입니다.

실수 3: 흔한 주제 선택

대학입학 사정관들이 너무 자주 봐서 다시 볼 때마다 한숨을 쉬는 에세

이 주제들이 있습니다. 예를 들면 다음과 같습니다.

a 인내심을 가르쳐준 스포츠 부상

a 빈곤의 실상을 깨닫게 해준 해외 봉사활동

a 이민자 부모님의 희생이 내게 준 영감

이러한 경험들은 실제 경험이며 학생에게 의미 있는 내용입니다. 하지

만 너무 흔해서 차별화가 어렵습니다.

한 입학 사정관은 이렇게 말했습니다. “해외 봉사활동이나 스포츠 부

상에 대한 에세이를 보면, 다 읽기도 전에 결말을 예상할 수 있습니다.

전혀 놀랍지 않죠. 똑같은 주제로 에세이를 쓴 지난 200명의 학생들과

이 학생을 구분 짓는 요소가 전혀 없습니다.”

훌륭한 에세이는 실제로 어떤 모습일까

제임스의 이야기를 들려드리겠습니다.

제임스는 GPA 3.9에 SAT 1480점을 받았습니다. 좋은 점수였지만 특별

히 뛰어난 점수는 아니었습니다. 명문대에 지원하는 많은 학생들이 비

슷한 점수를 가지고 있었습니다.

하지만 제임스는 다른 학생들이 쓴 에세이와는 전혀 다른 에세이를 썼 습니다.

제임스가 고등학교 1학년 때, 할머니께서 치매 진단을 받으셨습니다.

그는 할머니께서 들려주시던 이야기, 부르시던 노래, 그리고 결국에는

가장 사랑하시던 사람들의 얼굴까지 서서히 잊어가시는 모습을 지켜보 았습니다.

온 가족이 슬픔에 잠겼습니다. 하지만 제임스는 슬픔에만 머무르지 않 고 무언가를 하기로 결심했습니다. 그는 매주 지역의 치매 전문 요양 시 설을 방문하여 음악과 이야기를 통해 환자들이 기억을 되찾도록 도왔 습니다. 또한, 다른 학생 자원봉사자들을 훈련시켜 함께 프로그램을 진 행하도록 했고, 학교에서 치매 인식 개선 워크숍을 개최하기도 했습니 다. 그의 에세이는 학점이나 봉사 시간에 대한 이야기가 아니었습니다.

어느 날 오후 할머니 곁에 앉아 몇 달 동안 잊고 계셨던 한국 자장가를 갑자기 부르시는 할머니의 모습을 본 경험에 대한 이야기였습니다. 그

순간 기억, 정체성, 그리고 진정으로 다른 사람과 소통한다는 것이 무엇 을 의미하는지에 대해 그가 깨달은 바에 대한 이야기였습니다.

그는 자신이 받은 상에 대한 이야기도, 부모님을 자랑스럽게 해드리고

싶다는 이야기도 쓰지 않았습니다.

그는 진솔하고, 고통스럽고, 오직 그만의 경험, 그리고 그 경험 때문에

자신이 선택한 일에 대해 썼습니다.

결과: 제임스는 UCLA, UC 버클리, USC에 합격했습니다.

그 에세이는 그를 완벽하게 보이게 하지는 않았습니다. 오히려 그를 진 솔하게 보이게 했습니다. 그리고 대학들이 기억하는 것은 바로 진솔함 입니다.

5월과 6월이 그토록 중요한 이유

대부분의 한국 가정에서는 고등학교 졸업반인 9월이나 10월에 대학 입 시 에세이 작성을 시작합니다. 하지만 그때는 이미 훌륭한 에세이를 쓰

기에는 너무 늦습니다.

훌륭한 에세이는 1~2주 만에 완성되는 것이 아닙니다. 깊이 생각하고, 솔직하게 쓰고, 꼼꼼하게 수정하고, 자녀의 진정한 모습을 담아낼 이야

기를 찾는 데 시간이 필요합니다.

고등학교 2학년(11학년) 5월이나 6월에 에세이 작성을 시작하는 학생

들은 여름방학 동안 아이디어를 발전시키고, 다양한 주제를 시도해 보 고, 자신만의 어조를 다듬을 수 있습니다.

8월에 고등학교 3학년(12학년)이 시작될 무렵에는 에세이가 거의 완성 되어 있을 것입니다. 따라서 압박감에 시달리며 에세이를 써야 한다는

부담감 없이, 지원서 작성, 성적 관리, 장학금 준비에 집중할 수 있습니 다. 반면 9월까지 기다리는 학생들은 시간에 쫓기게 됩니다.

머릿속에 떠오르는 첫 번째 주제를 선택하고, 안전해 보이는 내용을 쓰 게 됩니다. 결국 기억에 남지 않는 에세이를 쓰게 되는 것입니다.

지금 할 수 있는 일

자녀가 현재 고등학교 2학년(11학년)이라면, 5월과 6월은 대학 진학 여

정에서 가장 중요한 달입니다.

지금은 기다릴 때가 아닙니다. 지금 바로 시작해야 할 때입니다.

옥스포드 학원에서는 학생들이 오직 자신만이 들려줄 수 있는 이야기

를 찾도록 돕습니다.

일반적인 주제에서 벗어나 대학입학 사정관들이 기억하는 구체적이고

진솔하며 개인적인 순간들을 담아낼 수 있도록 지도합니다.

한국 학생들이 가족에게서 물려받은 가치관을 저버리지 않으면서도 글

쓰기를 통해 자신의 개성과 목소리를 온전히 드러낼 수 있도록 지원합 니다. 앞서 말씀드렸던 제니라는 학생은 다음 해에 다시 저희를 찾아왔 습니다.

저희는 제니가 완전히 다른 유형의 에세이, 즉 솔직하고 구체적이며 누

가 봐도 제니만의 이야기를 담은 에세이를 쓰도록 도왔습니다. 그리고

제니는 USC에 합격했습니다.

자녀분에게도 같은 일이 가능합니다. 하지만 시작은 지금입니다.

9월이 아닙니다.

자녀분의 대학 에세이 작성을 위해 5월이나 6월에 옥스포드 학원에 연

락하세요.

명문대에 합격하는 학생들은 항상 성적이 가장 좋은 학생들만은 아닙

니다. 의미 있는 글을 쓸 용기를 가진 학생들입니다.

자녀분 안에는 그런 이야기가 있습니다.

저희가 그 이야기를 찾아낼 수 있도록 도와드리겠습니다.

모로

지난 1월 18일, 뉴욕 카네기홀 웨일 리사이

틀 홀 (Weill Recital Hall at Carnegie Hall)

에서는 국제 전문 음악교사 협회 (IAPMT, International Association of Professional Music Teachers)가 주최한 국제 콩쿠르 수

상자 연주회가 성황리에 열렸다. 이번 콩

쿠르는 기존의 지역 대회를 넘어 국제 규

확대되어, 한국, 중국, 베트남, 미국의 텍사스, 뉴욕, LA 등 각 지역

에서 선발된 우수 연주자들이 한자리에 모

여 수준 높은 연주 무대를 선보였다.

콘체르토와 솔로 부문 수상자인 Recrei

Park(박시영) 군은 쇼팽의 **발라드 1번

(Ballade No. 1 in G minor, Op. 23)**을 연 주하며, 깊이 있는 음악성과 성숙한 해석

으로 관객들의 뜨거운 박수와 찬사를 받았

Granada Hills Charter High School 12학년

에 재학 중인 그는 섬세한 표현력과 불타

는 열정을 겸비한 연주로 차세대 유망 피아니스트로서의 가능성을 확

실히 입증했다.

Recrei 군의 음악적 여정은 무대에만 머무르지 않는다. 그는 지역 요양

원, 병원, 시니어 하우스 등을 정기적으로 찾아가 연주하며 음악으로 사

람들에게 기쁨과 위로를 전하는 봉사 활동도 꾸준히 이어가고 있다. 또

한 바이올린 연주자로 Valley Youth Philharmonic Orchestra 에서 활동

하며 지역 사회에서 음악으로 나눔을 실천하고 있다.

현재 Selah Music Studio의Sharon Kim 원장의 지도 아래 피아노를 수 학 중인 Recrei 군은 MTAC 주 및 지부 수상, MTAC Convention 연주, SCJBF Junior Bach Festival, Peter Yazabek Scholarship, Musyca Festival

of the Arts Competition, National federation 에서 Scholarship 받았고 국 내외 다수 콩쿠르 입상 등 굵직한 성과를 이어가며 두각을 나타내고 있 다. 앞으로의 연주 일정으로는 라흐마니노프 피아노 협주곡 2번 1악장을

▲ Palisades Orchestra

(3월 22일 오후 7시, Mount Olive Lutheran Church1343 Ocean Park Blvd, Santa Monica, CA, 90405

▲ Valley Youth Philharmonic Orchestra

(6월 14일 오후 7시, 주안의 교회 ICCC : 19514 Rinaldi St, Northridge, CA 91326

▲ LA Youth Philharmonic Orchestra (8월 16일 오후 7시, Walt Disney Hall월트 디즈니 콘서트홀 : 111 S Grand Ave, Los Angeles, CA 90012)

▲ 한국연주 : 서초 Seocho Orchestra (6월, Banpo Simsan Art Hall

▲ 유럽연주 : Prague, Rome, Naples : Link University, Rome, Italy (8월) 과 협연할 예정이다.

▲ LA Youth Philharmonic Orchestra Winers Concert (12월 28일, Carnegie Hall 뉴욕 카네기 홀) Recrei Park 군의 음악적 여정에 많은 기대가 모아지고 있다. 그의 앞으 로의 비상에 따뜻한 응원의 박수를 보내며, 그가 펼칠 더욱 빛나는 미래 를 기대한다.

2026년 봄을 맞이하며 남가주 부동산 시장은 또 한 번의 전환점에 서 있습니다.

지난 몇 년간 우리는 급격한 금리 인상, 인플레이션 압박, 그리고 심리

적 관망세가 시장을 어떻게 변화시켰는지 경험했습니다.

이제 시장은 급등도 급락도 아닌, 구조적 재편의 시기로 진입하고 있습 니다.

경제 전문가들은 2026년 미국 경제를 완만한 성장과 안정화 국면으로

진단합니다.

기준금리는 고점 대비 완화 흐름을 보이고 있으며, 인플레이션은 통제

범위 내로 진입하고 있습니다. 다만 고금리 환경에 적응한 소비 패턴과

기업의 보수적 투자 기조는 여전히 시장에 영향을 미치고 있습니다. 부

동산 측면에서는 수요의 질적 변화가 가장 큰 특징입니다.

단순히 “사는 사람”이 아니라, 재정적으로 준비된 구매자, 목적이 분

명한 구매자가 움직이고 있습니다. 특히 남가주는 여전히 강한 고용시

장, 우수한 학군, 제한된 신규 공급, 그리고 고급 주거 수요라는 구조적

장점을 갖고 있습니다.

1. 2026년 봄 시장의 핵심 변화 포인트

① 금리 안정화와 심리 회복

지난 2~3년간 시장을 가장 크게 흔든 변수는 금리였습니다. 금리가 급

등하던 시기에는 바이어가 위축되었고, 셀러는 가격 기대치를 낮추지

않으려 했습니다.

2026년에는 금리가 안정 국면에 접어들면서 기다리던 수요가 점진적으

로 복귀하고 있습니다.

하지만 2021년과 같은 과열 시장은 아닙니다. 이제는 협상과 데이터 분

석이 중요한 시장입니다.

② 재고는 여전히 제한적

남가주, 특히 프리미엄 지역은 구조적으로 공급이 제한적입니다. 토지

부족, 건축 규제, 고급 주택의 희소성은 가격을 급락시키지 않는 핵심

요인입니다. 다만 시장에 오래 머무는 매물과 빠르게 거래되는 매물의

양극화가 뚜렷해지고 있습니다.

잘 준비된 매물은 여전히 경쟁을 유도하고, 준비되지 않은 매물은 가격

조정 압박을 받습니다.

③ 럭셔리 시장의 재편

럭셔리 세그먼트는 단순한 평수 경쟁이 아닌, 프라이버시·보안·라이 프스타일 중심의 가치로 재정의되고 있습니다.

예를 들어 La Cañada Flintridge, Pasadena, Hancock Park와 같은 지역

은 학군, 대지 규모, 역사적 가치, 커뮤니티 프리미엄이 결합되어 장기적

자산 방어력이 높은 지역으로 평가됩니다.

이러한 지역에서는 가격보다 희소성과 보유 가치가 거래를 결정합니다.

Duk Young (Sophia) Yang

(213) 500-5740

- COMPASS Real Estate 라케냐다 오피스

- Commercial, Residential & Property Management - 전 KREBASC (남가주 부동산 협회) 이사 및 소셜 미디어 담당

- SFR Certified(숏세일/차압/ 은행 매물 전문)

Short sale/ Foreclosure/ Real Estate Owned

- 발렌시아/스티븐슨랜치/캐년컨츄리 라카나다/라크라센타/파사데나 전문

2.

셀러가 고려해야 할 전략적 포인트

① ‘가격 선점 전략’이 중요하다

2026년은 과도한 오버프라이싱이 통하지 않는 시장입니다. 초기 2~3 주간의 노출이 가장 중요합니다. 이 시기를 놓치면 시장에 ‘체류 매

물’로 인식되기 쉽습니다.

전문가 관점에서 권하는 전략은

* 최근 60~90일 실거래 데이터 기반의 현실적 가격 책정

* 경쟁 매물 대비 차별화된 스토리텔링 * 초기 마케팅 집중도 강화

② 프리인스펙션과 투명성 확보

바이어는 이전보다 더 신중합니다.

셀러가 사전 인스펙션을 통해 잠재적 리스크를 미리 공개하면 협상력 이 높아집니다. 이는 특히 고가 주택일수록 더욱 중요합니다.

③ 감성이 아닌 투자 가치를 설명하라

요즘 바이어는 감정뿐 아니라 숫자를 봅니다.

* 향후 리모델링 가능성 * ADU 확장성 * 장기 보유 시 가치 상승 요인 이러한 자료를 미리 준비해 두는 것이 필요합니다.

3. 바이어가 준비해야 할 전략

① 대출 구조 최적화

금리 환경은 완화되고 있지만, 여전히 낮다고 할 수는 없습니다. 바이어 는 단순히 금리만 볼 것이 아니라

* Buy-down 옵션 * ARM 상품 * 재융자 전략을 종합적으로 설계해야 합니다.

② 협상력은 준비에서 나온다

* Fully underwritten pre-approval * 충분한 EMD 준비

* 빠른 클로징 가능성, 이 세 가지는 여전히 강력한 무기입니다.

③ 장기 보유 관점으로 접근

2026년은 단기 시세차익 시장이 아닙니다.

남가주는 장기적으로 공급이 제한된 구조적 시장입니다. 5년 이상 보유 관점에서는 여전히 매력적인 지역이 많습니다.

4. 더 나은 거래를 위한 공통 준비 사항

셀러 & 바이어 모두에게 중요한 것

1. 데이터 기반 의사결정 감이 아닌 숫자. 최근 거래, DOM, 가격 조정 비율을 분석해야 합니다.

2. 전략적 타이밍 설정

봄 시즌은 전통적으로 거래가 활발합니다. 다만 3~4월 초반이 가장 경

쟁이 치열하고, 5월 이후는 협상 여지가 생기는 경향이 있습니다.

3. 전문가 팀 구성: 경험 많은 에이전트, 대출 담당자, 에스크 로, 인스펙터의 팀워크가 결과를 좌우합니다.

- 2026년 봄, 기회는 준비된 사람에게

남가주 부동산 시장은 여전히 전국에서 가장 회복 탄력성이 강한 지역

중 하나입니다. 단기적인 금리 변동이나 경제 뉴스에 흔들리기보다는,

구조적 수요·공급의 균형을 읽는 안목이 필요합니다.

2026년 봄은 속도의 시장이 아니라 전략의 시장입니다.

가격을 밀어붙이는 시대가 아니라, 데이터를 설계하고 협상을 완성하

는 시대입니다. 셀러에게는 현실적 가격과 철저한 준비가 경쟁력이며,

바이어에게는 재정적 준비와 장기적 관점이 무기가 됩니다. 결국, 시장

은 항상 준비된 사람 편입니다. 올해 봄, 남가주 부동산은 다시 움직이 고 있습니다. 그리고 그 움직임은 전략적으로 접근하는 이들에게 분명 한 기회를 제공할 것입니다. 이제 중요한 것은 시장에 참여하느냐 가 아

니라, 어떻게 참여하느냐입니다. - 왜 ‘전문가’가 필요한가? 그리고 왜 저여야 하는가?

남가주 시장은 단순히 MLS 데이터를 읽는다고 이해되는 시장이 아닙

니다. 마이크로 로컬 시장의 흐름, 오프마켓 네트워크, 학군·커뮤니티

프리미엄, 그리고 셀러와 바이어 심리까지 입체적으로 읽어야 합니다.

저는 지역 기반 실거래 데이터 분석과럭셔리 셀러 맞춤 포지셔닝 전략,

협상 구조 설계 경험, 그리고 남가주 핵심 지역에 대한 깊은 이해를 바

탕으로, 단순 중개가 아닌 전략 설계형 브로커리지를 제공합니다. 특히

프리미엄 지역 셀러에게는 가격을 높이는 방법보다 가치를 극대화하는

방법을, 바이어에게는 사게 만드는 것이 아니라 잘 사는 구조를 설계합 니다. 결과적으로, 거래가 아니라 자산 전략을 완성하는 과정이 되도록

돕는 것이 저의 역할입니다. 2026년 봄은 누구에게나 같은 시장이 아닙

니다. 당신의 자산 상황, 보유 기간, 세금 구조, 라이프 플랜에 따라 전략 은 완전히 달라집니다. 올봄, 당신의 주택만을 위한 맞춤형 부동산 전략 상담을 원하신다면 언제든지 저에게 연락 주십시오. 단순한 시세 설명

이 아닌, 당신의 상황에 최적화된 방향성과 실행 전략을 함께 설계해 드 리겠습니다. 지금의 선택이 5년 뒤 자산 가치를 결정합니다. 그리고 그

전략, 함께 준비하겠습니다. 문의 : 소피아 양 (213) 500-5740

Non-Warrantable 융자

이상규 ( 뉴스타 부동산 명예 부회장 )

요즘 처음 집을 장만하려는 분들의 마음이 무겁다. 높은 이자율과 아직

도 높은 집 가격으로 인해 내 집 마련이 전보다 많이 어려워졌다.

직장에 다니기 시작한 젊은 부부들은 충분한 다운 페이먼트를 준비하

지 못했기 때문에 첫 내 집 마련을 가격이 비교적 낮은 HOA가 있는 콘

도나 타운홈을 구매하기 마련이다. 그런데 수년 전부터 콘도 단지 내의

문제로 융자가 더 까다로워져서 구매가 쉽지 않다.

콘도나 타운홈을 구매할 경우 모기지 회사에서 바이어의 신용과 수입

만 보는 것이 아니라 집이 위치해 있는 HOA와 HOA의 재정에 대해서

도 살펴본다.

콘도 프로젝트가 패미매나 프레디매 융자 기준을 충족하면 Warrantable

콘도라고 한다. 이런 콘도 프로젝트는 일반 융자가 가능하다. 이를 취

융자 회사도 많고 신용이 좋으면 우대 금리를 받고 다운페이도

3.75% 정도로 낮게 또는 VA 융자의 경우 한 푼도 다운하지 않고도 융

자를 받을 수 있다. 하지만 HOA가 소송 중에 있거나 렌탈 프라퍼티가

일정 기준보다 많고 건물 구조에 하자가 있다면 융자가 안 된다. 최근에는 보험 문제가 많아 산불 고위험 지역에 경우 모두 일반 융자가 안 된다. 또한 건물의 유지 보수를 위한 HOA 재정이 제대로 되어 있지

않을 경우 등 여러 이유로 Non-Warrantable이 되어 융자 조건이 매우 까다로워질 수 있다. 다행이도 이런 작은 시장을 전문으로 하는 NonWarrantable 융자를 하는 전문 회사들이 있다.

특징으로는 융자회사 입장에서는 위험도가 올라가기 때문에 대신 금리 가 일반 우대 금리보다 높다. 그리고 최소 10%-15%의 다운 페이먼트 를 요구한다. 또한 융자 심사 기준이 더 까다롭고 감정 평가서에 대해서

도 민감하다.

최근에 감정 평가서에 Non-warrantable 콘도에 대해 Declining Market

이라고 체크한 내용을 본 언더라이터가 5% 더 다운 페이먼트를 하라는

요구가 와서 바이어가 매우 당황한 적이 있다.

5%의 금액을 더 다운하면서 까지 첫 집을 사야하는 중압감에 매우 힘

들기도 했다. 그래서 콘도나 타운홈을 구매하기 위해서는 다음과 같은

준비를 하는 것이 좋다.

첫째, 콘도나 타운홈을 살 때에는 해당 단지의 HOA가 Warrantable 콘

도인지 Non-Warrantable Condo 인지를 미리 살펴보는 것이 좋다. 에

이전트를 통해서 해당 HOA의 재정 상태를 확인한다.

준비금 비율이 10% 이상 있는 지, 적자로 운영되고 유지 보수가 제대

로 되어 있지는 않은지, 각 집 주인들이 특별 분담금을 내고 있는 지 등

을 알아본다. 만약 준비금이 부족하고 특별 분담금이 높으면 NonWarrantable 일 경우가 높다. 또한 HOA가 건설 결함으로 소송이 걸려 있을 경우에는 일반 융자가 안 되고 Non-Warrantable 융자로 해야 한다.

둘째, 만약을 위해 추가 다운 페이먼트할 것을 미리 준비한다. Nonwarrantable 융자의 경우 모기지 대출 심사 과정에서 추가로 다운페이

먼트하라는 요청이 있을 수 있다.

셋째, 감정 평가서가 부정적으로 나오면 수정이 가능한지 를 알아본다.

만약 수정을 안 해 주면 2번째 감정사를 고용하여 2nd 옵션을 받아보아

문제가 없다면 모기지 심사관에게 제출을 해야 한다.

최근 몇 년간 산불 인근 지역은 보험이 매우 비싸서 HOA에서 제대로

커버리지를 하지 않아서 Non-Warrantable Condo가 급격히 늘어났다.

제한된 융자 회사들이 더 늘어 난 융자 수요에 대하다보니 융자 시간도

더 늘어날 수도 있으므로 오퍼를 넣을 때 부동산 전문가와 미리 상담을

해서 내 집 마련에 성공하시기를 바랍니다.

문의 이상규 : 818-439-8949

부동산 구매 후 후회 안하는 방법

이사하는 날 바로 큰 실수를 저질렀다는

사실을 깨닫는 건 아닙니다. 새집에 대한

설렘이 가라앉고 나면, 첫 등하교 시간,

첫 겨울, 또는 아이들이 십대가 되어가는

몇 년 후처럼 서서히 문제가 드러나는 경

우가 많습니다.

언제든 잘못된 선택을 했다는 사실을 깨닫게 되면 삶이 순식간에 힘들

어질 수 있습니다.

특히 부동산 구매 비용이 높은 요즘, 다음 부동산을 선택할 때는 장기적

인 관점을 갖는 것이 그 어느 때보다 중요합니다. 현재뿐 아니라 최소

7~10년 후의 삶의 방식에 맞는 집을 선택해야 합니다.

장기적인 관점을 갖지 못하는 것

가장 큰 후회 중 하나는 현재의 삶에 맞춰 집을 구매하고, 앞으로의 삶

을 고려하지 않은 채 성장하는 가족들입니다. 물론 미래를 예측할 수는

없지만, 앞으로 몇 년 동안의 계획은 어느 정도 세워두셨을 겁니다. 자

녀를 더 낳을 계획이든, 강아지를 키울 계획이든, 재택 사업을 시작할 계획이든 말이죠. 부모님

이 연로해지신 후, 특히 나중에 부모님을 부양해야 할 가능성이 있다면

더욱 고려해야 합니다.

편협한 시각에 빠지지 마세요

많은 집들이 매물이 없어서가 아니라, 특정 우편번호나 심지어 특정 거

리에만 집착해서 검색이 막히는 경우가 많습니다.

특정 지역에 집중하는 것은 도움이 되지만, 지나치게 집착하면 좋은 기

회를 놓칠 수 있습니다.

매물 투어 전에 일정과 매물 정보를 미리 알려드렸는데, 몇몇 매물은 마

음에 들지 않는다며 거절하시는 경우가 많습니다.

사진이 마음에 안든 다거나, 온라인 매물만 보고 구매를 포기하시는 경 우도 있습니다. 저희는 항상 고객 분들께 저희의 프로세스를 믿으시라 고 말씀드리고, 실제로 약 25%의 경우 처음에는 고려하지 않으셨던 매 물 중 하나가 결국 구매로 이어지는 경험을 하게 됩니다.

고칠 수 없는 문제를 무시하지 마세요.

주방을 리모델링하거나 로프트를 개조하거나 단열재를 보강할 수는 있

지만, 교통량이 많은 도로를 바꿀 수는 없습니다.

어떤 부동산이든 타협해야 할 부분이 있기 마련이지만, 그 부분을 정말

편안하게 받아들일 수 있는지 확인해야 합니다. 다른 모든 조건이 마음

에 든다고 해서 그 부분을 무시하면 나중에 후회할 가능성이 큽니다.

계약하기 전에 전체적인 상황을 파악하세요.

비행기 항로나 하루 동안 태양의 움직임을 보여주는 앱들을 활용하면

정원에 그늘이 지는 시간을 미리 알 수 있어 구매자들이 중요한 요소들

을 평가하는 데 도움이 됩니다.

도심 지역에 있는 부동산이라면 출퇴근 시간에 방문하고, 학교 근처라

면 아이들이 등하교하는 시간에 차를 타고 지나가면서 주변 교통 상황

을 파악하세요.

차고 진입로가 없다면 주차 공간을 찾기 위해 주변을 돌아야 하는지, 주

차 허가증이 필요한지, 그리고 몇 대까지 주차할 수 있는지 확인하세요.

일요일 오후에는 괜찮게 느껴지는 거리도 평일, 비 오는 날, 아이들을

데리고 가거나 쇼핑을 할 때는 감당하기 힘들 정도로 지칠 수 있습니다.

이러한 세부 사항들은 사소해 보일 수 있지만, 그 집에서 매일 생활하는

느낌과 구매를 후회하게 될지 여부를 결정짓는 중요한 요소입니다.

출퇴근 시간을 과소평가하지 마세요.

이론상으로는 괜찮아 보이는 출퇴근길도 주 5일 내내 고된 여정으로 느 껴질 수 있으므로, 조금이라도 의심이 든다면 반드시 직접 시뮬레이션

을 해보세요.

저는 구매자들에게 출퇴근 시간대에 양방향으로 제대로 시뮬레이션해 볼 것을 권합니다.

은퇴 후 돈을 낭비하는 7가지

많은 미국인에게 은퇴는 재정적으로 한숨 돌릴 수 있는 시기다. 노후 자

금은 마련되었고, 자녀들은 독립했으며, 직장생활의 일상적인 비용은

사라졌기 때문이다. 하지만 현실은 그렇지 않다. 지출이 줄어들기는 커

녕, 단지 형태만 바뀔 뿐이다.

재정 설계사들은 가장 큰 실수 중 하나가 은퇴 후 소비 습관을 재고하지

않는 것이라고 말한다. 소득이 가장 높은 시기에 합리적이었던 비용들

이 은퇴 후에도 계속되거나 조용히 증가하여 현금 흐름을 고갈시키는

경우가 많다.

다음은 과소비의 흔한 7가지 유형과, 삶의 질을 희생하지 않고 이러한

비용을 재조정하는 방법에 대한 재정 설계사들의 조언이다.

1. 시대에 뒤떨어진 주거 방식

주거비는 일반적으로 가장 큰 지출 항목이며, 감정적으로 재평가하기

가장 어려운 부분이기도 하다.

많은 은퇴자들이 가족생활에 맞춰 설계된, 여분의 침실, 넓은 마당, 높

은 유지 보수비용이 드는 집에 계속 살고 있다. 그렇다고 해서 반드시

이사를 해야 한다는 것은 아니다. 단지 최적화할 필요가 있을 뿐이다.

재산세, 보험료, 공과금, 유지보수 비용 상승은 모두 현재 거주지에서

노후를 보낼지 여부를 결정할 때 고려해야 할 사항이다.

에너지 효율 개선, 보험 검토, 재산세 재평가와 같은 작은 변화만으로도

이사를 하지 않고 비용을 절감할 수 있다.

다른 은퇴자들에게는 더 작은 집으로 이사하거나 임대하는 것이 더 큰

유연성과 낮은 유지비를 제공할 수 있다. 핵심은 감정적인 애착과 실질

적인 필요를 구분하고, 주거비용이 과거의 정체성보다는 현재의 생활

방식을 뒷받침하는지 솔직하게 생각해 보는 것이다.

2. 과도한 자동차 보험 교통비는 주거비 다음으로 가계 지출에서 가장 큰 비중을 차지하는 항 목 중 하나이며, 시대에 뒤떨어진 자동차 보험은 간과하기 쉬운 절약 기 회다. 은퇴자들은 흔히 주행거리를 과도하게 부풀리거나, 노후 차량에 불필요한 사고 보험을 가입하거나, 현역 시절 장거리 출퇴근을 기준으

로 설계된 보험 한도에 가입하는 경우가 많다.

재무 설계사들은 자동차 보험을 매년 검토하고, 차량 한 대로 가계 수요

를 충족할 수 있는지, 아니면 아예 차 소유를 포기하고 자동차 공유 서

비스를 이용하는 것이 더 나은지 재평가할 것을 권장한다. 자동차 소유 관련 비용을 줄이고 보험 보장 범위를 조정하면 매달 상당한 현금 흐름

을 확보할 수 있다.

3. 크레딧카드 부채

재무 설계사들이 은퇴 후 특히 위험하다고 지적하는 지출 항목 중 하나

는 크레딧카드 부채다.

현역 시절에는 감당할 수 있었던 고금리

심각한 부담이 된다. 이러한 부채는 벗어나기 어려

조정하는 대신 현금 흐름의 다리 역할을 하는 크레딧카드를 사

용하는 경우가 많은데, 이는 소득이 고정되면 부채 상환과 투자금 인출

이 직접적으로 충돌하게 된다는 것을 의미합니다.”라고 말한다. 은퇴

전에 고금리 부채를 최소화하고 투자금 인출보다 부채 상환을 우선시

하는 것이 중요하다.

베스트 인터레스트 파이낸셜의 코디 슈이테보어는 더욱 직설적으로 말 한다. “은퇴하기 전에 부채를 갚아야 합니다.”라고 그는 조언한다.

부담스러운 크레딧카드 빚에 시달리는 사람들에게 전문가들은 은행 고

객센터에 연락하여 금리 인하를 협상하거나, 초기 연이율 0%로 전액

원금 상환이 가능한 새로운 카드로 잔액을 옮기는 것을 권장한다. 하지

만 0% 크레딧카드의 조건을 잘 살펴봐야 한다. 0% 금리는 제한된 기간

동안만 제공되며, 기간 만료 시 미납 금액에 대해서는 높은 이자가 부과

될 수 있다.

4. 여행과 취미에 대한 과도한 지출 은퇴는 시간을 가져다주지만, 그 추가적인 시간은 예상치 못한 지출을

초래할 수 있다. 여행 계획은 늘어나고, 취미도 많아지며, 은퇴자들은 때때로 항상 꿈꿔왔던 활동에 많은 돈을 투자하기도 한다.

은퇴의 목적은 즐거움이지만, 전문가들은 재량 지출이 예상치를 초과 할 수 있다고 지적한다.

파이낸셜 그룹의 헤더 윈스턴은 "은퇴자들이 자신이 생각하는 이상적

인 은퇴 생활을 살아야 한다는 압박감을 느끼는 것을 자주 봅니다."라고 말한다. "많은 사람들이 실제로 즐길 수 있을지 알기도 전에, 한 번에 몇 주씩, 일 년에 여러 번 여행하겠다는 거창한 목표를 세웁니다."

하지만 재정적인 부담을 최소화하면서 세계 곳곳을 여행하는 방법도

있다. 소비자 저축 전문가인 멜리사 시드는 "비수기에 여행하는 것이 은 퇴자들이 여행 예산을 절약할 수 있는 가장 쉬운 방법 중 하나입니다."

라고 조언한다. "자주 여행하는 사람들에게는 적절한 여행 크레딧 카드

를 사용하면 포인트와 마일리지를 적립하여 무료 항공권과 호텔 숙박

을 누릴 수 있어 더욱 큰 가치를 얻을 수 있습니다."

취미 활동에 대한 지출에는 장비, 강좌, 회원권과 같은 초기 비용이 포

함될 수 있는데, 이러한 비용은 항상 장기적인 만족으로 이어지지는 않

는다. 재무 설계사들은 이러한 재량 지출 항목에 대한 예산을 설정하고

매년 검토할 것을 권장한다. 목표는 즐거움을 제한하는 것이 아니라, 지 출이 단순히 열망이 아닌 실제 사용을 반영하도록 하는 것이다.

5. 성인 자녀 지원 은퇴 후 가장 정서적으로 민감한 지출 중 하나는 성인 자녀와 관련된 문 제다. 은퇴자들은 종종 자녀의 렌트비, 학자금 대출, 자녀 양육비, 의료 비 또는 비상 자금을 지원하는데, 때로는 명확한 한도 없이 비공식적으 로 지원하기도 한다.

"부모가 이렇게 하는 것은 돈을 함부로 써서가 아닙니다. 자녀를 진심으 로 아끼고, 어려움을 겪는 모습을 보고 싶지 않기 때문입니다."라고 재

무 설계사 스콧 노이바우어는 말한다. "하지만 경계 없는 관대함은 수십

Economy

년에 걸쳐 쌓아온 은퇴 계획을 서서히 무너뜨릴 수 있습니다."

젊은 근로자들과 달리 은퇴자들은 고갈된 저축을 다시 채울 능력이 제

한적이다. 단기적인 도움으로 시작된 지원이 반복적인 예산 부담으로

이어질 수 있다.

자산 관리 담당 이사인 앤서니 콜리카는 "관대함과 자선은 중요하지만

계획이 필요합니다."라고 말한다. "가족 지원에 구조를 부여하면 은퇴

자들은 감정적으로 반응하는 것이 아니라 의도적이고 확신 있게 지원 할 수

있으며, 관대함이 계획을 약화시키는 대신 강화하는 데 도움이 됩 니다."

재정 전문가들은 명확한 경계를 설정하고 지원을 무기한 의무가 아닌

계획된 지출로 취급할 것을 제안한다. 성인 자녀를 돕는 것은 죄책감이

나 습관에 따라 하는 것이 아니라 의식적인 결정이어야 한다.

6. 구독 서비스 및 통신 서비스 구독 서비스는 소액인 경우가 많아 쉽게 해지할 수 있기 때문에 낭비의

주요 원인이 된다.

스트리밍 플랫폼, 피트니스 앱, 클라우드 저장 공간, 프리미엄 뉴스 구

독, 취미 서비스 등은 시간이 지남에 따라 쌓이기 마련이다. 어떤 사람

들은 은퇴 후 시간이 생기면 사용할 수 있을 거라는 생각에 새로운 구독

서비스를 추가하기도 한다. 하지만 실제로는 대부분 사용하지 않는 경

우가 많다. 통신비 또한 은퇴자들이 인지하지 못하는 사이에 과도하게

지출하는 항목 중 하나다. 라이브 TV, 프리미엄 채널, 스포츠 중계 등을

중심으로 구성된 케이블 패키지는 제대로 활용되지 않는 경우가 많다. 무제한 데이터나 국제 로밍 기능이 포함된 휴대폰 요금제는 더 이상 현 재의 필요를 충족하지 못할 수도 있다. 전문가들은 구독 서비스와 케이 블 및 휴대폰 요금제를 정기적으로 검토할 것을 권장한다. 사용하지 않

는 구독 서비스를 해지하고 저렴한 통신 요금제로 변경하면 매년 수백

달러에서 수천 달러까지 절약할 수 있다.

7. 고액 수수료 금융 상품 또는 불필요한 보험 특약

복잡한 금융 상품은 눈에 잘 띄지 않는 비용을 수반할 수 있으며, 특히

노년층은 필요하지 않은 기능에 대한 비용을 지불하기 쉽다. 수수료가

높은 투자 펀드, 여러 가지 특약이 붙은 연금 상품 또는 오래전에 구입

한 보험 상품은 더 이상 은퇴 목표에 부합하지 않을 수 있다.

금융 전문가인 다비드 시우다는 "은퇴자들이 오래전에 구입한 상품에

집착하는 것은 흔히 편안한 습관이어서 버리지 못하는 경우가 많습니 다"고 말한다. "많은 사람들이 높은 수수료를 부과하는 종합 금융 자문

가와 관계를 유지하는 이유는 그들이 시장 평균 수익률을 능가하지 못 할 가능성이 높기 때문이다. 저비용 인덱스 펀드나 정액 수수료 자문가 로 바꾸면 여행이나 취미 생활에 더 많은 돈을 쓸 수 있습니다."

나들이

지 상 문

흰구름이 바쁘게 흐른다. 창틀안에 든 하늘에 눈길이 구름을 더는 따를 수가 없다.

한참을 바라보니 흐르는 것은 구름이 아니라 내가 흐른다. 가끔 한 조각

푸른 하늘을 보여주기도 한다.

봄의 얼굴이다. 봄맞이를 해야 하겠다.

풀냄새가 싱그럽다. 곳곳에 겨울한파가 기승을 부렸는데 이에 아랑곳

없는 뒤마당은 한 겨울을 넘어서고 있다.

붉고 노랗고 분홍의 미니장미가 서로의 빛깔을 뽐내고 있다. 수선화가

활짝 웃는다. 지난해 호사스럽던 고추와 호박이 주춤하니 몇 잎 남아

나풀댄다.

진달래가 온통 꽃으로 잎을 덮어주고 있다. 한 뼘 넘게 자란 쑥이 인사

를 한다. 지난일이 떠오른다.

쌉쌀한 쑥 버무리와 쑥 국이 그립다 하니 처남댁이 부리나케 영등포시

장에서 구해온 쑥으로 국을 만들어 준 일이다. 질깃한 섬유질에 진한

쑥 향과 쌉싸래한 뒷맛이 가득할 줄 알았는데 쑥인지 풀인지 그냥 밍밍

하기만 하다.

고향에서 자란 쑥도 미국에서 자란 쑥도 세월 따라 그 향기가 변했나 아

니면 우리의 입맛이 달라졌는가 가늠이 안된다.

그늘에서 자라 제 구실을 못할 수도 있다하기에 양지바른 곳으로 옮겨

심었어도 막무가내 향기가 밍밍하다.

넋을 놓은 쑥이냐 모질어진 입맛이냐 그 답을 찾지 못하고 있어도 쑥은

그대로 퍼져 나가고 있다.

화려하지 않아도 싱그러움을 주는 푸른 빛이 늘 고맙다.

" 봄나들이"

둘이 손잡고 걸어갑니다/ 둘이 마주보고 웃음지어요

지나는 사람들도 웃어줍니다/ 어디선가 만나본 얼굴입니다

손녀가 하늘 위를 올려다보면/ 할아버지도 하늘을 바라봅니다

손녀가 잔디밭을 내려다보면/ 할아버지도 잔디밭을 바라봅니다

하늘도 파랗고 잔디도 파랗고/ 둘이 손잡고 걸어갑니다

March 01 2026 at Los Angeles

" 너희는 그의 말을 들으라!"

한양장로교회 임시목사 양인

우리는 사순절을 보내고 있습니다. 사순절은 우리 기독교인들에게 아주

중요한 절기입니다.

2026년 사순절은 2/18일 성회 수요일에 시작해서 4/4일 토요일에 끝납 니다.

사순절 40일 동안 기독교인은 자아성찰과 회개의 영성생활에 집중합니 다.

평소생활을 돌아보며 절제할 것이 무엇인지 찾습니다. 더 나아가 금식

기도도 합니다.

사순절을 시작하면서 교우들과 나눈 주일성경본문은 마17장 35절입니

다. “너희는 그의 말을 들으라!” 예수의 사람은 예수 그리스도의 말

을 듣고 살려고 합니다. 그런데 hearing 하고 있습니까? 아니면 listening

하고 있습니까? 이 질문이 참 중요합니다.

평생 신앙생활을 하면서 예수의 마음과 삶을 닮아가지 못하는 것이 안

타까워한다면 그 분에게 이 질문을 권장하고 싶습니다.

사람은 하나님의 은혜로 신앙고백을 할 수는 있겠지만 -- listening 하

는 마음으로 신앙생활을 하지 않으면 그 다음 단계의 생각과 행동으로

이어질 수가 없습니다.

듣는 것(Hearing)과 알아듣는 것(Listening)에는 큰 차이가 있습니다.

Hearing은 남이 이야기하는 것을 듣는 것을 말합니다. 상대방이 말하

므로 듣는다는 수동적인 뜻이 포함되어 있습니다. 그러나 Listening은

상대방의 이야기에 적극적으로 참여하는 것을 말합니다.

상대방이 말하는 뜻을 이해하려고 애쓰는 태도가 포함되어 있습니다.

Listening을 잘하면 자연히 질문이 나옵니다. 그 질문 속에는 그 사람이

찾는 답이 숨겨져 있습니다.

하늘에서 들려온 말, 너희는 그의 말을 들으라! 여기서 들으라는 것은 "Listen" 하라는 뜻입니다.

예수의 말을 그저 단순히 듣지 (hearing)말고, 무슨 말인지 잘 듣고 이해

하고(listening), 더 나아가 “순종(follow or obey) 하라”뜻까지 포함합 니다.

단순히 hearing 하고 있으면 길가에 뿌려진 씨 같은 결과만 남습니다.

반면에 listening 할 적에는 우리의 삶에 하나님의 역사가 일어납니다.

변화가 일어납니다. 생각이 달라집니다. 보는 눈이 달라집니다.

말이 달라집니다.

우리의 삶이 달라집니다. 사랑, 평화, 소망이 넘치는 삶으로 새롭게 만

들어집니다.

사순절을 보내면서, 예수의 말을 Hearing 하는 수준으로 신앙생활을 해

왔는지? 우리 모두가 성찰할 수 있으면 좋겠습니다.

Listening 하며 신앙생활을 하려면 어떻게 하면 되는지? 그 길을 찾을 수

있으면 좋겠습니다. 이것이 우리 좋으신 하나님께서 2026년 사순절을 우리에게 주신 은혜가 아닐까요!

“우리가 아직 죄인 되었을 때에 그리스도께서 우리

를 위하여 죽으심으로 하나님께서 우리에 대한 자기 의 사랑을 확증하셨느니라.” - 로마서 5:8 -

도파민 권태

무대 위를 뜨겁게 달구던 조명이 꺼지고 관객마저 썰물처럼 빠져나간

텅 빈 객석에 홀로 선 듯한 기분이 들 때가 있습니다.

조금 전까지 심장을 뛰게 했던 열기는 온데간데없고, 차가운 적막이 자

리 잡고 있습니다.

심리학에서는 이를 '무대 후 우울증 (Post-Performance Depression)'이

라 부릅니다.

인생이라는 무대에서 크고 작은 성취를 이룬 뒤, 혹은 은퇴라는 커다란

막을 내린 뒤 찾아오는 감정은 '충만함' 보다는 '공허감' 일 때가 많습니

다. 빛이 너무 강렬했기에, 그 빛이 사라진 자리가 더욱 어둡게 느껴집

니다.

프랑스의 철학자 파스칼은 그의 저서 『팡세』에서 "인간의 모든 불행 은 단 한 가지, 고요한 방에 홀로 머물지 못하는 데서 비롯된다."고 했습 니다.

현대 뇌과학자들은 이를 '도파민 권태' 라고 부릅니다. 강한 자극 뒤에

오는 일상의 단순함을 견디지 못해, 습관적으로 스마트폰을 켜고 또 다

른 소음을 찾아 헤맵니다.

소란스러운 것들은 우리의 마음을 채우지 못합니다. 영혼의 생명력은

끊임없는 자극이 아니라 깊은 침묵 속에서 잉태되기 때문입니다.

세상은 우리에게 멈추면 도태된다고, 더 화려한 불빛 속으로 들어가라 고 유혹합니다. 하지만 신앙의 신비는 철저히 '비움' 에서 시작됩니다.

19세기 철학자 키르케고르는 "군중은 거짓이다" 라고 말하며, 하나님

앞에 선 '단독자' 로서의 고독을 강조했습니다. 그는 진리가 왁자지껄 한 광장이 아니라, 철저한 고독의 골방에서 발견된다고 믿었습니다. 사

람들의 박수 소리에 귀가 멀어 있을 때는 내면의 소리를 듣지 못합니다.

내가 누구인지, 어디로 가고 있는지 묻는 질문은 늘 소란함이 멈춘 적막

속에서만 유효합니다.

엘리야 선지자는 갈멜산에서 불을 내리는 기적을 행하며 인생 최고의

순간을 보냅니다. 그런 다음 깊은 침체에 빠지게 되고, 로뎀나무 아래에 서 죽기를 구합니다. 그때 하나님은 산을 가르는 거센 바람 속에서도, 땅을 흔드는 지진 속에서도, 타오르는 불 속에서도 나타나지 않으십니 다. 모든 격정의 순간이 지나간 뒤, 지극히 작은 '세미한 음성' 중에 그를 찾아오십니다.

소음이 걷히고 난 다음에 하늘의 소리가 들립니다. 하나님의 축복은 화려함이 아닌 뼈아픈 고독이라는 투박한 포장지에

싸여 배달됩니다.

인생의 조명이 꺼진 것 같아 두렵습니까? 더 이상 아무도 나를

는 것 같아 외로울 때, 그때가 바로 포장지를 걷어내고 하나님과 독대

할 수 있는 가장 완벽한 시간입니다. 화려한 조명이 사라진 그 자리에

하나님은 떠나지 않으시고 따스하게 바라보고 있습니다.

밝은 대낮엔 별이 보이지 않습니다. 태양 빛이 사라져야 별이 보입니다.

인생의 겨울밤에만 피어나는 은혜의 꽃이 있습니다.

어둠은 우리를 가두는 감옥이 아니라, 가장 찬란한 새벽을 만들어가는

작업실입니다.

지금의 적막은 외롭게 하려는 것이 아니라, 하나님이 건네시는 '세미한

음성'을 듣게 하려는 사랑의 초대입니다.

끝이 가까울수록 인생이 끝난 후 어떤 일이 이루어질 것인가에 관심을

가져야 합니다.

잠시 기기를 끄고 내면의 골방으로 들어가 가만히 엎드려 보십시오. 요

Happy Valentine's Day와

사랑의 풍선

우리 교회에서는 Valentine’s Day가 되면은 사랑의 초코렛을 예쁘게 포

장하여 선물로 드리고 있습니다.

그리고 말합니다. 이 초코렛은 본인이 먹으라고 드리는 것이 아닙니다.

이 초코렛은 누구가를 향하여 선물로 드리되 꼭 허그하고 [사랑합니다.]라고 진실하고 참되게 고백하면서 전해 주라고

드리는 것입니다. Valentine’s Day는 항상 누군가에게

선물을 드리면서 사랑을 고백하는 날로 생각을 하게 되었습니다.

그러던 중에 Valentine’s Day때 아주 멋있는 사랑의 간증 이야기가 나왔습니다. 어떻게 이런 생각을 했을까?

놀라운 사랑의 아이디어에 다들 놀라워했습니다.

우리 교회 장로님께서 아코디온 교실의 학생들을 위해

Valentine’s Day의 풍선을 선물한 것이였습니다.

Valentine의 풍성을 기도막사의 아코디온 교실에 학생 수에 맞추어서

둥둥 띄워 놓은 것이였습니다.

그리고 칠판에 크게 글씨를 적어 놓았다.

[사랑합니다.]

[Happy Valentine’'s day]

[하나씩 가져가세요]

아침에 문을 열고 들어오는 순간 다들 얼마나 좋아하고 고마워했는지

는 모를 것입니다.

얼굴이 환해지며 탄성을 발하며 마음으로 흐뭇해 하며 얼마나 감사했

는지 다들 너무 좋았다고 고백을 했습니다.

아코디온 교실에서 총무로 섬기는 유니스 권사님의 새벽 큐티 시간의

간증 이야기입니다.

내가 피곤해 하고 힘이 들고 아프면 아코디온 학생들이 항상 물어 오는

질문이 있다고 한다.

[오늘도 새벽 기도에 갔어?]

[내일도 갈거야?]

[새벽기도 가지 마]

[예수 믿어도 적당히 믿어야지 그렇게 무리하면서까지

새벽 기도에 갈 필요가 없어...!]

[새벽 기도를 가니깐 몸이 그렇게 힘들어 하는 거야]

사람들이 새벽 기도회를 가는 것을 그렇게 문제 삼는다고 한다.

그리고 새벽기도에 가지 말라고 사명(?) 같이들 말한다고 한다.

유니스 권사님은 우리 교회 장로님이 주셨다고 하면서 공중에 떠 있는 풍성을 하나씩 잡아서 아코디온 학생들에게 [사랑합니다.] 허그 하면서

주었습니다

뜻밖의 풍선을 하나씩 받으니 얼마나 기분이 좋고 좋은지 어느 분이 크 게 한마디 하더라는 것입니다.

[유니스 이제부터 새벽 기도회 꼭 나가세요] 그러고 나서 다들 깔깔거

리며 웃었다고 합니다.

아코디온을 마치고 돌아가는 길에 아코디온 선생님이 [사랑합니다.]하

면서 자신의 풍선을 유니스에게 건네주더라는 것입니다.

유니스 권사님은 말합니다.

[풍선 하나가 얼마나 큰 사랑의 가치를 하는지…….]

[풍선 속에 담긴 사랑하나가 사람들에게 얼마나 밝음을 주는지....]

[장로님께서 어떻게 그런 생각을 했는지….]

정말 고마웠다고 합니다.

너희 믿음이 사람의 지혜에 있지 아니하고

다만 하나님의 능력에 있게 하려 하였노라 - 고린도전서 2장 5절 -

난 이 작은 간증을 들으면서 몇 가지 생각이 들었습니다.

첫째 사랑은 창조의 근원이라는 생각이 들었습니다.

사랑은 마치 분수의 물을 품어내어 무지개 빛을 만들어 내게하는 아름

다운 힘이란 생각이 들었습니다.

둘째 사랑의 가치가 전해질 때마다입니다.

사랑의 가치가 전해질 때 사람의 마음은 변한다는 것이다.

그 이전까지 무리하면서 까지 [새벽기도 나가지만] 했던 사람이 사랑

풍선을 받는 순간 [유니스 이제부터 새벽 기도회 꼭 나가세요] 농담 같

지만 내 귀에는 너무 아름답게 들리었다.

사랑은 사람을 변하게 한다는 사실입니다.

셋째 하나님께서 사랑 속에서 삶에 빛을 뿌리고 기쁨을 뿌

린다는 것이다.

사랑을 나눌 때마다 하나님은 우리의 삶에 희락을 터드리며 즐거움이

솟아나게 한다는 것이다.

[의인을 위하여 빛을 뿌리고 마음이 정직한 자를 위하여 기쁨을 뿌리시

는도다] (시97:1)

떡국 사랑

떡국

한 그릇에

사랑을 듬뿍 담았지

배부르게

사랑을 먹어서 그런지

아무리

추워도

우린 따스했고

아무리

가난해도

우린 행복했지!

떡국

한 그릇의 사랑이

새해의 한해를

견디게 했지!

이겨나가게 했지!

백 동 흠

[ 시작 (詩作) 노트 ]

오늘이 [설]이라고 하는군요.

미국에서의 설날은 바람잡이 같답니다.

횅하니 왔다가 냄새만 풍기고 슬그머니 사라집니다.

카톡의 엄청난 설날 인사는 눈에는 풍성한데

마음에는 허한 바람만 불게 합니다.

새해의 시작을 알리는 [설]입니다.

사랑의 떡국 드셨는지요?

든든히 드시고 새해라고 말하는 한 해를

잘 이겨나가고 헤쳐나갔으면 합니다.

새해 복 많이 받으시구요!

백동흠 목사드림

-풀(POOL) 청소권 매매/매입 하실 분을 찾습니다.:

밸리 45개(6배) 20개(5배), 수영장 깨끗히 관리합니다.

SHALOM POOL SERVICE : 818-606-3551

-치과에서 일하실 분 구함: 문의: (818) 271-7165

-피부관리사 구함: 유 경험자 또는 경험 없는 분도 환영, 라이센스 소유자, 문의: (818) 267-6006

-어카운트일 하실 분 모집: (213) 760-0202

-간병인 구함 : 밸리에 사시는 분, Cash 로 지급, (213) 445-1280

-애기 봐드립니다: 애기를 잘 보시고 경험도 많습니 다. (747) 347-7794

-가사도우미 구함: 주 2-3일 (월수금 & 월수) 오

전 3-4시간 가사도움 주실 정직, 성실, 정리 잘하시는 분. 방2, 화2 청소, 정리, 빨래, 간단 음식준비 등, W2, background check, punch the clock 필요- 캐시 페이 안 됨 $26-28/hr, 산타클라리타 지역, (714) 337-9956

문자 먼저 주세요.

-Bookkeeping직원 모집: 유경험자 우대, 경력이 없으신 분도 환영. Training. 의료보험, 은퇴연금플랜 (401K)외 각종 베네핏을 지원, 높은 시급과 보너스 제 공, 파트타임 풀타임 등 근무시간 조정 가능, 외국어 사 용자 환영(한국어, 중국어, 몽골어, 타이어, 베트남어 등

등) 발레시아 지역 오피스, (661) 775-5923. Kathy at kathy.ray@reliantez.com

-자폐/장애인 도와주실 분 구함: 지역선택가능 풀/ 파트타임 $20.25 시작 (818)838-5273 한국어 상담 Jaynolan.org

-텔러 경험있는분 찾습니다: 한미은행 노스리지 지 점 직원모집, 자세한 내용은 Hanmi.com 에 채용공 고 보시면 됩니다. (818) 709-3312, 이메일 Jessica. hwang@Hanmi.com

-서울해장국 카운터에서 일하실분: 밸리 갤러리아 마켓 몰내, (818) 429-9448

-웨이츄레스 구함 : 밸리 송림장 (818) 304-4362

-미용사, 미용 헬퍼 구함 : 미용실에서 기술 배우 면서 "헬퍼"해주실 분 구합니다. 그리고 미용사도 구함 (818) 263-0216

-밴드 공연을 위한 연주자 구함: 남,녀 보컬, 키보 드, 드럼, 각각 모심 (213)256-7082

-교사 & 보조교사 구함: 스몰월드 (818) 363-3684

-광고 매니저 겸 병원장 어시스턴트: 시미 밸리 에 있는 동물 병원, 유경험자 우대, Fluent in english, info@rsvet.com

사업체매매

-게스트룸 렌트: 뷰가 좋은 조용한 주택가 (한센 골 프장 근처), 1 베드룸, 1 베스, 주방완비, 게이트 따로 있

음, 유틸리티 포함 $1,050, 오래 사실 남자분 환영

연락처: 213-700-4642, 213-448-3530 -게스트하우스 렌트: 방2. 화1. 부엌1. 출입구 따로, 118. 405. Fwy 가까움. 그라나다 힐스 지역, 유틸리티 포함 $2100, (818) 523-4632 -방 렌트: West Hills 조용하고 마당 넓은 집, 여성분 선호, Fallbrook Mall 2마일, Northridge Mall 4마일, 마 켓 인근, No pet, no overnight guest, $1,000/월, (213) 458-0703 -게이트 타운하우스 렌트: 선랜드, 방3 화1.5, 수영 장·테니스·농구장, 안락한 공원 분위기, 2대 가라지 + 커뮤니티 파킹, 문의: (818) 294-9187 -게스트하우스 렌트: 방2. 화1. 부엌1. 출입구 따로 118. 405. Fwy 가까움. 그라나다 헬스 지역

유틸리티 포함 $2100, (818) 523-4632

-방 렌트: 그라나다 힐스, 방1, 욕실1, 여성분 환영, $700/월, (818) 808-9799, 메세지 연락

-모빌홈 팝니다: 가격 $10만, (213) 915-9970

-방 렌트: 405Fwy, 5Fwy 가깝고, 회사원 환영, 잠만 주무실 분, 유틸리티포함 $800/월, (818) 299-0481

-방 렌트: 노스힐스 지역(교통편리), 가구, 인터넷, 정 수기, 세탁기, 신원 확실한 직장인 남성 환영, 유틸리티 포함 월 $700, (818) 368-9886, (818) 903-3113 메세지 남기세요.

-방 렌트: 마켓 6분, 조용한 하우스, Mason & DeSoto,

여자분, 학생, 직장인 환영, 좋은 파킹, 냉장고, 세탁기

사용 가능, $800/월, (213) 254-8179

-콘도 렌트: 방2, 화2, 1640 sqft, no utilities, $5,200/월, (818) 640-5663

-게스트 하우스 : 방1, 화1, 침대, 옷장, 냉장고, 유티

리티 포함, $1,800/월, (310) 595-4072

-랭캐스타 10 에이커 농장 너서리: 야채. 화초 지을

수 있는 농장, 월 $900 렌트, 전기. 물 농사 짓기 좋은

상태 완비, 관심 있는 분 연락 (661) 886-5539

-방 렌트: 매스터 베드룸. 냉장고. 옷장. 인터넷. 유틸

리티 포함. 여성 1분 환영. (818) 808-9799

-베드민턴 동호회 모임 : 함께 베드민턴 동호회 회원 모집합니다. 누구나 환영, 장소는 주안에교회, 회장. 윤석중 (213)604-1295, 총무 제이콥 정, (562)896-9230

화요일 목요일. 오후 5.00-9.00

-LAKTC 테니스 클럽 회원 모집: 매주 수요일 밤7 시, 토요일 밤 7시, 문의 (213) 268-6594

-볼링 관심 있으신 분: 밸리 한인볼링모임 Hanuri에서 함께해요! 초보부터 고수까지 누구나 환영합니다(부부, 연

인 환영), 즐겁게 스트레스 날리고, 함께 성장하는 우리! 매 주 수요일, 8:30PM, Back Alley Bowling (9118 Balboa Blvd, Northridge, CA 91325) 에서 정기모임 진행 중(818) 963-0831 -포터랜치 해피클 피클볼 클럽 모임: 매주 수, 토 6:40 am 포터랜치 커뮤니티팍. 한 번도 안 해본 사람은 있어도 한 번만 친 사람은 없다는 재미있는 피클볼 함께 해요. 남녀노소

환영합니다. 문의 (213) 550-9059 조슈아 한

-하이킹 모임: 시미밸리 와 포터랜치 지역에서 하이 킹을 매주 토요일에 하실 분은 연락주세요. 이메일 주소: T3479091532@GMAIL.COM

-섹소폰 배우실분 (858) 342-0978

-싱글 돌싱 모임 (1963년부터 1983년까지) 매주 토 일요일

모임이 있습니다. 운동, 여행, 그리고 하이킹도하며 좋은 친구 와 짝궁도 찾아봐요. (310) 739-9234 (문자 먼저 보내주세요)

-사교춤 동호회: (213) 915-9970

-산타클라리타 테니스 동호회 회원 모집: 산타클라 리타 지역에서 테니스를 즐기실 분. Myung (Michael) Cho, michael.myung.cho@gmail.com

-노래교실 : 노래를 배우고. 즐겁게 노래하고 싶은신분 누구 나 환영, 신곡이나 배우고 싶은 곡 또는 부르고 싶은 곡을 완 전히 자기 노래로 소화 시켜 드립니다. 213-216-0006, 818-727-1000

-싱글 모임: (818) 770-4298

-낚시 동호회: 낚시를 즐기고 싶은 분 누구나 환영, 민 물낚시, 배타고 도미낚시 등 함께 즐겁게 낚시를 즐기세요, (818) 831-9658 Mr. Lee

-명곡오페라아카데미 단원 모집: (213) 605-5810

-무료 기타교실: 랭캐스터 한인장로교회에서 초보자를 위 한 기타교실을 오픈, 대상: 성인 (661) 220-0848(황대선 목사) -목요일에 골프치실분 모집을 합니다 : (626) 993-5288 -화요골프사랑 회원모집 : 골프사랑하시는 분들 초대합 니다. Chong (626) 993-5288 (LA-Valley 지역) -테니스 동호인모집: 밸리 테니스 클럽에서 USTA 4.0 이상 되시는 테니스 동호인 모집합니다. 문의) 필립 정 (818) 456-7737 -사진강좌 및 사진 동호회 :밸리지역(213) 793-5500 -밸리 7080 음악동호회 회원모집 : 기타와 노래에 취미 있으신 분 환영, 다름 악기도 좋음, 모임장소: 나성 북부 교회, 시간: 매주 토요일 10시반-12시반, (213) 500-3689

-골프친선모임 : Chon (323) 369-6018

-바둑즐기실 분: 또는 배우실 분 환영, 점심식사 제공 (818) 746-6088

-동호회원 모집: 뜨개질, 퀼트, 그림, 꽃꽂이, 하이킹, 합 창, 생활영어 등 다양한 클래스,문의: Grace Seo (661) 3739647, graceandboys@yahoo.com - 밸리 테니스 동호회 모임: 매주 토, 일 오전 7시-9시 반 까지, 실마 El Cariso Reginal Park 테니스코트, 중급이상 실력으로 주말 아침 운동하실분 (818) 321-9561 Chan Shin

-새 족구 회원 모집: 지역 : 밸리, 라크라센타, 선랜드, 버뱅크, 글렌데일, 장소 : ANC온누리 교회 체육관, 매주 월요 지역 : 밸리, 라크라센타, 선랜드, 버뱅크, 글렌데일, 장소 : ANC온누리 교회 체육관, 매주 월요일 저녁 7:30~10:30, (714) 824-1006 valleymagazine@gmail.com 818-439-9289

Turn static files into dynamic content formats.

Create a flipbook