Geistlich NEWS - VOLUMEN 16, NÚMERO1, 2021

Page 1

VOLUMEN 16, NÚMERO1, 2021

TEMA CENTRAL 12

Prevención de la pérdida del diente.

Con los tratamientos disponibles hoy, incluso los «dientes insalvables» pueden sobrevivir.

AMPLITUD DE MIRAS PÁGINA 28

El trabajo en la «nueva normalidad».

Dentistas de cinco continentes comparten su experiencia frente al confinamiento, la reapertura y las preocupaciones de los pacientes.

ENTREVISTA PÁGINA 38

Una carrera solidaria para ayudar a la ONG Turma do Bem. Esta ONG facilita el acceso a los tratamientos dentales a las víctimas de violencia.

En movimiento
por una buena causa.
GEISTLICH BIOMATERIALS

LEADING REGENERATION.

100 GEISTLICH NEWS 1-2021
Fotografía de la portada: Wang Zhao

El inicio de una nueva era

Ustedes tienen mi más absoluto respeto y reconocimiento en este tiempo tan complejo dominado por el coronavirus. Sin disponer de nada de tiempo, se han visto obligados a tener que adaptar su trabajo a las nuevas circunstancias y a enfrentarse a una gran incertidumbre. Pero, a pesar de todas las dificultades, han atendido a sus pacientes de manera segura y profesional. Me siento orgulloso de la confianza que nuestros pacientes tienen en ustedes y en los productos de Geistlich.

Geistlich Pharma se ha dedicado por completo a la regeneración y, en los últimos 16 años, su actividad se ha visto influida de manera determinante por nuestro CEO Paul Note. Él ha demostrado ser un visionario prudente, con la vista puesta siempre en el mercado y con sensibilidad para fomentar el desarrollo dinámico y sostenible de nuestra empresa. La clave ha sido nuestra estrecha cooperación con ustedes, nuestros usuarios clínicos y científicos. Durante todos estos años en Geistlich apostó fuerte por esta colaboración, con el objetivo de alcanzar los mejores resultados para nuestros pacientes. A mediados de este año tendremos que decirle adiós y desearle todo lo mejor en esta nueva etapa de su vida.

Me gustaría repasar algunos de los momentos que marcaron la época de nuestro CEO Paul Note. Su forma de ser se caracteriza por su relación personal tanto con nuestros clientes, como también con sus compañeros y nuestros socios. Con su dedicación ha creado nada menos que nueve empresas filiales en cinco continentes, y con él el negocio experimentó un fuerte crecimiento. Las formas en que interactuamos con ustedes y las oportunidades que estas nos brindan se han desarrollado de diferentes formas durante este tiempo; nuestro último logro ha sido el congreso en línea «Geistlich + YOU», que se ha vuelto a celebrar en febrero de 2021 después de una respuesta extraordinariamente positiva. Bajo el liderazgo de Paul Note, nuestra gama de productos ha incorporado nuevos desarrollos pioneros y variantes de productos adaptadas a sus necesidades. En 2014, por ejemplo, la empresa fue reconocida con un prestigioso premio a la innovación por la primera matriz de regeneración del tejido blando: Geistlich Mucograft®. Paul Note siempre ha basado sus acciones en los cinco valores principales de Geistlich: «Pionero», «Científico», «Conectado», «Experto en regenera -

ción» y «Familia». Estos pilares han tenido un papel fundamental en la consolidación de su confianza en nuestros productos y nuestra empresa. Encuentro extraordinariamente gratificante que Geistlich haya avanzado con ustedes en la odontología regenerativa, y que siga marcando la pauta.

Después de muchos años de un extraordinario trabajo, es un honor para mí dar las gracias a Paul Note por su contribución en nombre de la junta directiva, el comité ejecutivo y nuestros más de 700 empleados en todo el mundo. Al mismo tiempo, su marcha marca el inicio de una nueva era en la que damos la bienvenida al sr. Ralf Halbach. Le deseamos que disfrute formando parte de la familia de Geistlich que, a mediados de 2021, pasará a poner con confianza en sus manos el destino operativo de la empresa.

Atentamente, Dr. Andreas Geistlich Presidente de la junta directiva, Geistlich Pharma

3
Editorial Fotografía: Ed. Geistlich Söhne AG

NOVEDADES

6 «Queremos llevar el mensaje de la regeneración»

Entrevista con Paul Note | CEO de Geistlich Pharma AG

8 Logros deportivos y solidaridad

9 «GEISTLICH BIO-GIDE® le proporciona una seguridad adicional»

10 Una pequeña innovación puede suponer una gran diferencia

1 1 Descubra «The New Daily Practice»

12 Prevención de la pérdida del diente

¿Todavía existen dientes insalvables?

¿O podemos cambiar favorablemente el pronóstico? ¿Cuáles son las tera‑ pias y los materiales nuevos?

TEMA CENTRAL

13 «¡Esperanza para los dientes insalvables!»

Entrevista con el Dr. Pierpaolo Cortellini | Italia

16 Cuando el tratamiento ortodóncico causa problemas periodontales

Dr. Scott H. Froum | EE. UU.

18 «Nadie quiere ocultar su sonrisa»

Entrevista con el Dr. Frank Bröseler | Alemania

22 Salvar los dientes afectados por defectos periapicales de grandes dimensiones

Prof. Jose Mauricio Paradella de Camargo | Brasil

4 GEISTLICH NEWS 1-2021 Número 1 | 2021
Ilustración: Quaint

AMPLITUD DE MIRAS

25 «Una membrana de colágeno adecuada puede mejorar los resultados clínicos»

Entrevista con los Drs. R. Gilbert Triplett y Jay P. Malmquist |

27 El movimiento ortodóncico de los dientes forma hueso nuevo

Dr. Pal Nagy | Hungría

28

Cinco expertos en activo durante la pandemia

a nuestras preguntas

34 A la búsqueda de la membrana de barrera ideal

Dr. Jordi Caballé-Serrano | España

OSTEOLOGY FOUNDATION

36 «No hay mal que por bien no venga»

ENTREVISTA

38 Una conversación con Amanda Monteiro 39 Información editorial

Revista para clientes y amigos de Geistlich Biomaterials

Volumen 16, número 1, 2021

Editorial

©2019 Geistlich Pharma AG

Business Unit Biomaterials

Bahnhofstr. 40 6110 Wolhusen, Suiza

Tel. +41 41 492 55 55

Fax +41 41 492 56 39 biomaterials@geistlich.ch

Editora

Dra. Marjan Gilani, Verena Vermeulen

Maquetación

Niki Bossert

Frecuencia de la publicación 2 veces al año

Tirada

20.000 ejemplares en varios idiomas en todo el mundo

El contenido de GEISTLICH NEWS se redacta con la máxima atención. Sin embargo, el contenido creado por terceros no refleja necesariamente la opinión de Geistlich Pharma AG. En este sentido, Geistlich Pharma AG no garantiza la exactitud, integridad ni actualidad del contenido proporcionado por terceros, ni asume la responsabilidad por daños de naturaleza material o no material en los que se incurra por usar la información de terceros o por el uso de información errónea o incompleta de terceros, a menos que se demuestre intención dolosa o negligencia grave por parte de Geistlich Pharma AG.

5
IMPRESIÓN
EE. UU.
contestaron
acerca del impacto de la pandemia en sus vidas profesionales.
Fotografía: Wang Zhao

Comprometidos con nuestros valores fundamentales

«Queremos llevar el mensaje de la regeneración»

Paul Note ha estado al frente de Geistlich Pharma durante 16 años. Con motivo de la entrega del mando al nuevo CEO, Ralf P. Halbach, a mediados de 2021, echamos la vista atrás con él para repasar el amplio e intenso periodo en Geistlich.

Usted ha dirigido la empresa desde 2006. Si compara la com pañía Geistlich Pharma de ahora con la de entonces: ¿cuál es la principal diferencia que observa y qué es lo que no ha cambiado?

Paul Note: Destacaría especialmente el in creíble crecimiento con unos valores fun damentales que han permanecido invaria bles. Defendemos nuestros altos valores como construimos sobre nuestra tradición como expertos en regeneración. Cuando comenzamos en 2003 teníamos 150 em pleados; ahora nos estamos acercando a los 800. Quintuplicar el número de tra bajadores es un logro del que nos senti mos orgullosos, y los valores de la empre sa contribuyen a ello, porque cementan y guían nuestra actitud y nuestro desarrollo.

¿Cómo logró conservar los valo res fundamentales anclados en el ADN de la empresa?

Yo destacaría dos puntos: primero, siem pre hemos tenido nuestra sede en la parte

central de Suiza como el centro de nues tras actividades. Fieles a la filosofía de «todo bajo un mismo techo», hemos con centrado y mantenido nuestros depar tamentos de investigación y desarrollo, producción y todos los demás servicios centrales en nuestras dos ubicaciones suizas. Para nosotros esto era fundamen tal para mantener esta lógica vertical. Y se gundo, siempre hemos dado importancia al crecimiento desde dentro, es decir, or gánico. Antes del desarrollo dinámico de los últimos años y hasta hoy, nuestro ta maño no nos permite hacer adquisiciones. Estas dos prioridades nos han permitido ser fieles a nuestros valores fundamenta les y seguir desarrollándolos.

¿Cómo se reflejan los últimos 15 años en la red de Geistlich? Como siempre, hemos apostado por nues tra red científica, imprescindible para el desarrollo de nuestros productos y servi cios. De aquí es de donde se derivan en úl tima instancia los beneficios para nuestros

clientes. Por este motivo hemos ampliado esta red hasta alcanzar una dimensión glo bal. Cada filial nueva nos ayuda a construir puentes con las universidades y los líderes de opinión clave de los diferentes países, y a establecer, mantener y consolidar los con tactos con los mejores de cada ámbito. En 2006 comenzamos con tres filiales y aho ra estamos representados en los mercados a través de 12, es decir, tenemos contacto di recto con las comunidades locales de doce países. Esta red es una referencia muy parti cular a nuestros cinco valores clave: «Cien tífico», «Experto en regeneración», «Conec tado», «Pionero» y «Familia».

6 GEISTLICH NEWS 1-2021 Fotografía:
|
Geistlich Pharma
©iStockphoto, malerapaso
«El ser humano siempre está en el centro».
Entrevista con Paul Note realizada por Thomas Pfyffer

¿Qué relevancia tiene el que Geistlich sea una empresa familiar?

¡Mucha! La familia Geistlich garantiza es tabilidad y una perspectiva a largo plazo. La colaboración estrecha y constructiva entre el comité ejecutivo y la junta directiva ha sido un elemento decisivo para el éxito. En mi función, y puedo hablar en nombre de todo el comité ejecutivo, siempre he con tado con el respaldo pleno de la junta di rectiva.

¿Podría rememorar los principa‑ les hitos y logros de su era?

El primero, que transformamos las tres empresas asociadas de Reino Unido, Alemania e Italia en filiales. En los años

posteriores añadimos nueve filiales más, lo que nos permitió tener presencia lo cal directa y personal en mercados denta les en crecimiento y desarrollo. Otro hito relevante fue la creación de la unidad de negocio Surgery en 2007, con la que com plementábamos nuestras unidades de ne gocio Biomaterials y Medical. También hemos avanzado en nuestro compromi so con nuestras fundaciones Osteology Foundation, On Foundation y Osteo Scien ce Foundation para apoyar de manera es pecífica la investigación y la formación, y para promover el talento joven. También destacaría las tres veces que hemos ganado el Central Switzerland Innovation Award en los últimos 25 años. Encontrarnos en lo más alto del podio con nuestros productos fue un reconocimiento a nuestro compro miso integral con la investigación y el de sarrollo, y un extraordinario motivo de sa tisfacción para todos.

¿Cómo vive las repercusiones que está teniendo la crisis del coronavirus?

Estoy orgulloso de ver la flexibilidad y la agilidad con la que nuestra organización ha sabido adaptarse a las nuevas circuns tancias. En especial, el cambio al trabajo y la colaboración virtuales ha sido muy sa tisfactorio y ha encontrado su culminación en nuestro congreso en línea «Geistlich + YOU». Nuestra amplia red nos ha sido muy útil para mantener y cultivar los contactos. Aún así, hecho de menos la relación per sonal con nuestros socios de todo el mun do, a quienes siempre me he sentido muy cercano. Es imposible sustituir al 100 % las experiencias compartidas por las he rramientas virtuales.

¿Qué es lo que le gustaría transmi‑ tir a su sucesor, Ralf P. Halbach?

Todos los desarrollos tecnológicos que he mencionado son importantes, pero no debe olvidar que lo que verdaderamente cuentan son las personas. Estoy orgulloso de la competencia y la visión de nuestros empleados. Ellos son quienes han marca do la diferencia en todos nuestros éxitos y logros. Nuestra plantilla se merece nues tro apoyo constante y activo; los emplea dos siempre devuelven mucho más a la empresa.

Sr. Note, muchas gracias por esta entrevista.

7 NOVEDADES
Fotografía: Roger Schuler
«LOS
EMPLEADOS DE GEISTLICH Y SU VISIÓN SON LOS QUE HAN MARCADO LA DIFERENCIA EN TODOS NUESTROS ÉXITOS Y LOGROS».

Logros deportivos y solidaridad

325 EMPLEADOS RECORRIERON UNA

DISTANCIA DE 3.988 KM Y RECAUDARON 21.860 DÓLARES

ESTADOUNIDENSES: ESTAS SON LAS INCREÍBLES CIFRAS DE LA PRIMERA EDICIÓN DEL «GEISTLICH CHARITY WALK & RUN».

Lo que comenzó bajo el sol de Nueva Zelanda, conti nuó en la humedad y la lluvia de Suiza y finalizó con éxito en EE. UU. y Brasil. Los empleados de Geistlich de un total de 13 países caminaron y corrieron por una buena causa. Geistlich ha mantenido durante mucho tiempo la tradición de hacer una donación anual a una ONG merecedora de ello. Pero el 10 de octubre fue algo más; fue un compromiso personal. Geistlich multiplicó cada kilómetro recorrido por cinco dólares estadounidenses.

Un día y muchos ganadores.

La donación de este año es para la ONG brasileña Turma do Bem y su proyecto «Apolônias do Bem»*. A través de ellos se ayuda a las mujeres que sufrie ron violencia doméstica y daños afectaron a su den tadura. Al finalizar el día en América, era el momento de hacer balance: el 10 de octubre de 2020 solo hubo ganadores. Un gran número de pequeños grupos, co rredores y senderistas individuales contribuyeron al éxito del evento con muchos kilómetros. La principal ganadora de la jornada fue la solidaridad.

8 GEISTLICH NEWS 1-2021
*Más información en la página 38

Reforzar, revascularizar, regenerar

«GEISTLICH BIO‑GIDE le proporciona seguridad adicional»

«Cuando hago ROG vertical con membranas de PTFE uso también Geistlich Bio‑Gide ® para cubrir por completo todas las partículas (autógenas y Geistlich Bio‑Oss ® ) en las proximidades de los dientes adyacentes».

«He utilizado Geistlich Bio‑Gide ® en combinación con membranas de TR PTFE* para ROG vertical y horizontal durante los últimos 25 años. Actúa como una protección adicional para la periferia de la mezcla del injerto óseo, sellando los márgenes del sitio injertado que de lo contrario podrían verse comprometidos».

«He utilizado Geistlich Bio‑Gide ® sobre la membrana perforada en más de 100 casos. La razón fundamental es evitar la invasión de los fibroblastos, al tiempo que se permite que se produzca la transvascularización».

« Geistlich Bio‑Gide ®  te da una seguridad adicional en los casos donde tenemos un fenotipo fino y utilizamos una membrana no reabsorbible para la ROG, y puede proteger y proporcionar un soporte adicional a los tejidos blandos, además de proteger el área quirúrgica en caso de una pequeña exposición».

9 NOVEDADES
Dra. Isabella Rocchietta RU Prof. Istvan Urban Hungría Dr. Sascha A. Jovanovic EE. UU. Prof. Darko Bozic Croacia
®
Ilustración: Geistlich Pharma *Membranas Cytoplast™ de HD-PTFE con refuerzo de titanio (no perforadas)

Prevenir la pérdida del volumen después de la colocación de un implante inmediato

Una pequeña innovación puede suponer una gran diferencia

Sin rellenar el gap

Después de 1 año

Geistlich Bio‑Oss® Collagen 50 mg se ha desarrollado específicamente para rellenar el gap en la colocación de un implante inmediato.

La colocación de un implante inmediato suele provocar un gap entre la pared ósea vestibular y los implantes insertados.1 Los implantes solos, colocados en los alveolos de extracción recientes sin medidas de regeneración preventivas, no pueden mantener el volumen de la cresta alveolar. 2, 3

Relleno del gap con Geistlich Bio‑Oss® Collagen y Geistlich Bio‑Gide®

Después de 1 año

Preservación del 92 % del volumen óseo horizontal

22 % de pérdida de volumen óseo horizontal

Reabsorción ósea2 22 % de pérdida horizontal 1,7 mm de pérdida vertical

Rellenar el gap: un escudo para el éxito Cuando el gap periimplantario se rellena con Geistlich Bio‑Oss® Collagen y Geistlich Bio‑Gide® se conserva el 92 % de la anchura original de la cresta, y los resultados de los tejidos blandos y óseos son mejores que cuando se co locan los implantes inmediatos solo.2

¿Quiere saber más acerca de la colocación de un implante inmediato y el «relleno del gap» con Geistlich Bio‑Oss® Collagen 50 mg?

Si desea más información diríjase a su socio local.

Maximización de la preservación del volumen

óseo2

Preservación del 92% del volumen horizontal 0,6 mm de pérdida vertical

Bibliografía

1 Girlanda FF, et al.: Clin Oral Investig. 2019;23(10):3885 93. (estudio clínico)

2 Cardaropoli D, et al.: Int J Periodontics Restorative Dent. 2014;34(5):631 7. (estudio clínico)

3 Vignoletti F, Sanz M: Periodontol 2000. 2014;66(1):132 52. (estudio clínico)

10 GEISTLICH NEWS 1-2021
Imágenes: Quaint
¡Escanee y sepa cómo funciona!

Una guía digital para los tratamientos regenerativos preventivos

Descubra «The New Daily Practice»

Existe una tendencia a utilizar los trata mientos regenerativos tanto para recons truir los defectos de grandes dimensio nes como para prevenir la pérdida de tejido, simplificando los tratamientos y minimizando las complicaciones. Du rante y después de la pandemia por el coronavirus, estos aspectos son más im portantes que nunca porque ayudan a simplificar los flujos de trabajo y a redu cir los costes.

Soporte para los dentistas

¿Cuáles de los enfoques preventivos dan buenos resultados? ¿Cuáles reducen el tiempo de cirugía y disminuyen los cos tes del manejo de las complicaciones?

¿Cuáles son sus beneficios a largo plazo?

¿Y cuál es la mejor manera de hablar con los pacientes acerca de las medidas de prevención?

Para ayudar a los dentistas nóveles en este campo y buscar orientación, Geistlich Biomaterials ha creado una plataforma

informativa sobre los trata mientos regenerativos para la prevención en la odonto logía actual.

Un punto de partida ideal

La página web «New Daily Prac tice» ofrece una orientación sencilla en una amplia variedad de trata mientos. Infografías interactivas y ani madas, árboles de decisión y revisiones bibliográficas proporcionan un resumen rápido de los valores y los beneficios de las diferentes opciones. Una sección in teractiva sobre «Información para el pa ciente» invita a los profesionales a com partir su experiencia relacionada con la información para el paciente en el ámbi to de la odontología regenerativa preven tiva.

¡Únase y conviértase en parte de la ex periencia!

Si desea más información diríjase a su socio local.

FIG. 1: Con infografías interactivas, vídeos, animaciones y píldoras de conocimiento, la página web «The New Daily Practice» ofrece información fácil de comprender acerca de los tratamientos regenerativos preventivos.

¡Comparta sus experiencias con los demás!

¿Cómo informa a sus pacientes acerca de los tratamientos regenerativos preventivos como la preservación de cresta, el relleno del gap, la conservación de los dientes o el aumento del tejido blando? Suba un vídeo y comparta su experiencia con los demás.

FIG. 2: Encuentre información sobre estos tratamientos regenerativos preventivos en «The New Daily Practice»: regeneración periodontal, relleno del gap, preservación de la cresta y regeneración preventiva del tejido blando.

11 ¡EN VIVO NOVEDADES
La página web de la «The New Daily Practice» permite a los dentistas saber más acerca de los tratamientos regenerativos preventivos de una forma divertida e interactiva.
Fotografía: ©iStockphoto, Thatphichai Yodsri | Geistlich Pharma

Prevención de la pérdida del diente

¿Todavía existen dientes insalvables? ¿O podemos cambiar favorablemente el pronóstico? ¿Cuáles son las terapias y los materiales nuevos?

12 GEISTLICH NEWS 1-2021 TEMA CENTRAL
Ilustración: Quiant

Resultado a largo plazo de la terapia periodontal regenerativa

¡Esperanza para los dientes insalvables!

Durante los últimos 20 años, el Dr. Pierpaolo Cortellini ha demostrado que un «diente insalvable» en absoluto lo es. Hemos hablado con él acerca de los resultados a largo plazo, la rentabilidad, las creencias y expectativas razonables.

Dr. Cortellini, usted ha salvado un increíble número de dientes de los llamados «insalvables» a lo largo de su carrera; ¿tiene la expresión «diente insalvable» algún significado para usted?

Dr. Cortellini (sonriendo): Bueno, que sea o no insalvable depende tanto del esta do en el que el diente se encuentre como del tratamiento que se pueda ofrecer. Por eso, algunos dientes considerados antes como insalvables ya no lo son. A lo largo del tiempo hemos desarrollado soluciones terapéuticas mejores. Pero, por supuesto, una destrucción horizontal del hueso has ta el ápice de 360 grados sigue siendo un diente insalvable, también para mí.

En ocasiones escuchamos que la tendencia se aleja de la sustitu ción de los dientes y se acerca a su conservación. ¿Está de acuer do con ella?

Sí. Por ejemplo, por motivos económicos. Acabamos de publicar un artículo don de demostramos que salvar dientes muy comprometidos es menos caro que susti tuirlos; tanto a medio como a largo plazo.1

2 Si la cantidad de hueso destruido es alta y se requieren aumentos de hueso y de te jido blando para colocar un implante, los

costes de la sustitución pueden duplicar los de salvar los dientes existentes.

Hay más motivos por los que los pacientes prefieren conservar sus propios dientes. Algunos piensan que es holístico y «más natural». Otros han oído hablar de la pe riimplantitis, y su preocupación está jus tificada. En los pacientes con problemas periodontales, el riesgo de periimplanti tis es alto.

¿Buenas noticias para los perio doncistas?

Bueno, hay una mayor demanda de los pa cientes, pero la experiencia de los dentis tas es cada vez menor. Un grupo de exper tos y científicos podrían poner de nuevo en primer plano la experiencia periodontal, lo que sería beneficioso.

Usted ha hecho un ensayo clíni co aleatorizado con los llamados «dientes insalvables». 25 dientes insalvables se sustituyeron por implantes, y otros 25 se trata ron con medidas regenerativas. ¿Cuántos de ellos sobrevivieron?

23 de 25. Se trataba de dientes con lesio nes endo peridontales crónicas y/o pér dida de inserción hasta el ápice o más allá. Después de 5 años, cambiamos su pronóstico de «insalvable» a «bueno». Durante el seguimiento a diez años al gunos pacientes abandonaron los con troles y se perdió un diente.1, 2

¿Sólo uno?

Dr. Cortellini (sonriendo): Sí. Era una abuela a la que su nieto pequeño le dio una patada. Perdió tres dientes, y uno de ellos era el que estaba en nuestro estudio.

¿Es posible alcanzar este alto porcentaje de dientes «insalva‑ bles» salvados en la consulta de otros dentistas? ¿O es su expe riencia con las técnicas de ROG más predecible?

Hay muchos factores clave: la experien cia es uno de ellos, cierto, pero también contar con un equipo multidisciplinar de

13 TEMA CENTRAL
Entrevista
«En los pacientes con problemas periodontales, el riesgo de periimplantitis es alto».

endodoncistas, higienistas, periodoncis tas y prostodoncistas. Aunque el factor más importante es la selección del paciente. No es posible conseguir un resultado prede cible en un paciente con una salud bucal deficiente, en fumadores o en pacientes con diabetes no controlada. Y la selección de los pacientes incluye también elegir la configuración correcta del defecto: defec tos óseos verticales de una profundidad definida cercanos a un diente estable. Esto último también es importante. Si no pode mos controlar la movilidad del diente, no podemos regenerar el hueso.

¿Ha visto diferencias en la satis facción de los pacientes cuando se salvan los dientes en lugar de reemplazarlos?

Los resultados notificados por los pacientes

en cuanto a la salud, la estética y la funcio nalidad fueron similares en ambos grupos. Pero los pacientes que conservaron los dientes estaban más contentos. La mayo ría de los pacientes tratados con implantes hubiera preferido conservar sus dientes.

Además de comparar la conser vación con la sustitución, tam‑ bién comparó diferentes enfo ques terapéuticos para salvar los dientes; por ejemplo, el desbri damiento con colgajo abierto frente a la terapia periodontal regenerativa.3 ¿Qué reveló esta comparación?

Durante el periodo de observación de veinte años perdimos dos dientes en el grupo del desbridamiento con colgajo abierto, frente a ningún diente perdido

en el grupo del tratamiento regenerati vo. El desbridamiento con colgajo abierto significa que las superficies radiculares se limpian después de elevar el colgajo, pero el periodonto no se regenera.

Por tanto, los dientes del grupo del des bridamiento con colgajo abierto presen taba alveolos residuales más profundos después del tratamiento, y el aumento de la inserción clínica era menor. Medi mos solo 2,5 mm frente a los 5,3 mm en el grupo de la regeneración. Por tanto, estos dientes eran más difíciles de conservar.

¿Y qué puede decirnos sobre los costes del tratamiento? ¿Qué enfoque resulta más rentable a largo plazo?

También analizamos los costes a lo largo de 20 años.3 En comparación con el des bridamiento con colgajo abierto, la técni ca regenerativa resulta más cara al prin cipio. Pero si se comparan los costes durante 20 años, el desbridamiento con colgajo abierto es un método más caro porque es necesario tratar las recidivas.

Usted y Maurizio Tonetti desa rrollaron un algoritmo para sa‑ ber cómo proceder en diferentes situaciones. ¿Qué tratamientos y materiales se incluyen aquí?

Las técnicas incluyen el desbridamien to con colgajo abierto solo, los sustitutos óseos, las membranas reabsorbibles, las membranas dimensionalmente estables y la proteína de la matriz del esmalte. En 1994 publicamos la primera versión del algoritmo y, desde entonces, hemos rea lizado ligeros cambios. La versión más reciente está en un libro de la Sociedad

14 GEISTLICH NEWS 1-2021
«Cada vez se presta más atención a la idea de salvar los dientes en lugar de reemplazarlos». Charla con el Prof. Cortellini en Florencia.
Fotografía: Geistlich Pharma

de Periodoncia Italiana (Fig. 1). Básica mente este sigue siendo mi espectro de tratamiento, dependiendo de la anato mía y de la configuración del defecto,

¿Qué es lo que supondría un hito en la terapia regenerativa para los dientes? ¿O ya no se necesi tan grandes avances?

La posibilidad de regenerar el soporte periodontal en los defectos horizontales sería un gran progreso. No tenemos ex periencia en el tratamiento de defectos sin paredes, los llamados defectos hori zontales de 360 grados. En estos casos solo nos queda aceptar la situación. Si se consiguiera ofrecer algo clínicamente aplicable para resolver este problema, nos encontraríamos ante un gigantesco mercado.

Una última pregunta: ¿animaría a sus colegas a salvar más dien‑ tes en lugar de reemplazarlos?

Sin duda. Esta ha sido mi convicción desde el comienzo de mi vida clínica e investigadora. Y cada vez se presta más atención a la idea de salvar los dientes en lugar de reemplazarlos.

En este sentido, los dentistas con reticen cias a salvar los dientes tienen dos opcio nes: derivar a los pacientes a un especia lista que sepa hacerlo, o convertirse ellos mismos en expertos.

Bibliografía

1 Cortellini P, et al.: J Clin Periodontol 2011; 38(10):915 24. (clinical study)

2 Cortellini P, et al.: J Clin Periodontol 2020; 47(6):768 776. (clinical study)

3 Cortellini P, et al: J Clin Periodontol 2017; 44(1): 58 66. (clinical study)

Anchura del espacio interdental

≥ 2 mm ≤ 2 mm

MPPT SPPF

Técnica de preservación de la papila modificada

Colgajo para la preservación de la papila simplificado

Cresta edéntula adyacente al defecto

Incisión de la cresta

Defecto intraóseo

Afecta a 1-2 paredes de la raíz

Limpiable desde vestibular

Sí No

M-MIST

Técnica quirúrgica mínimamente invasiva modificada

Cualquier defecto anatómico

Sin material regenerativo

MIST

Técnica quirúrgica mínimamente invasiva

Afecta a 3-4 paredes de la raíz, muy severo

Defecto contenido

Defecto no contenido

Colgajo extendido

EMD

Derivado de la matriz del esmalte EMD

Defecto contenido

EMD + injerto EMD

Defecto no contenido

Barrera Barrera + injerto EMD + injerto

15
DISEÑO
ACCESO
DEL COLGAJO ESTRATEGIA REGENERATIVA
Ilustración:
TEMA CENTRAL
Quaint
FIG. 1: Algoritmo del tratamiento para la terapia periodontal regenerativa

¿Dientes irreparables?

Cuando el tratamiento ortodóncico causa problemas periodontales

La conservación de los dientes puede estar aso‑ ciada a muchas ventajas. La buena noticia es que en la era de las técnicas qui rúrgicas y los biomateria‑ les avanzados, en ocasio‑ nes es posible conservar dientes insalvables. ¿Qué se requiere para mantener dientes diagnosticados como insalvables?

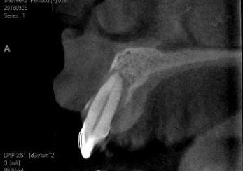
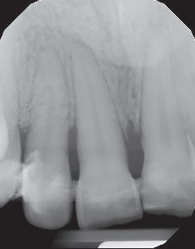
Este caso reporta los detalles de un trata miento periodontal regenerativo de los dientes 11 y 12 (sistema FDI) con movili dad severa y absceso periodontal. La pa ciente era una mujer de 27 años de edad

sin antecedentes contributivos ni aler gias conocidas, y que no estaba tomando medicamentos.

Cuando las cosas no se desarro‑ llan como estaba previsto

La paciente había comenzado un trata miento ortodóncico con un alineador transparente 6 meses antes de acudir a mi consulta. El objetivo del tratamiento orto dóntico era corregir una maloclusión cla se II de Angle con una moderada separa ción de los incisivos superiores, resalte (overjet) aumentado y proclinación de los incisivos superiores. Después de 6 meses de tratamiento, con cambios semanales de los alineadores creados por ordenador, la paciente desarrolló un absceso alrede dor del diente 12 y fue derivada a un endo doncista par drenar la lesión. Los dientes 11 y 12 se diagnosticaron como insalvables,

con profundidades de sondaje de 15 mm localizadas y movilidad de clase III. La tomografía computarizada de haz cónico (CBCT) y la radiografía periapical mostra ban pérdida de las paredes vestibular y palatina. No obstante, los dos dientes te nían un buen aporte sanguíneo, como se constató en la prueba de vitalidad pulpar. La paciente quería una segunda opinión y fue derivada a nuestra consulta.

Tratamientos periodontales y procedimientos regenerativos

El exhaustivo examen periodontal con firmó las profundidades de sondaje y la movilidad de clase III. Le explicamos los riesgos de la terapia y el pronóstico poco favorable de ambos dientes, y la paciente firmó un consentimiento informado.

Los dientes anteriores (n.º 13 23) se feru lizaron con una férula periodontal Rib bond, y la oclusión se ajustó a un contac to ligero. Se elevó un colgajo de espesor total, y el defecto se descontaminó con una combinación de láser de CO2 de 9,3 micras y EDTA al 24 %. Después de la descontaminación confirmamos un de fecto de una pared con una bolsa perio dontal intraósea de 7 mm. Injertamos el defecto con Geistlich Bio‑Oss® Collagen, que tiene una excelente capacidad para actuar como andamiaje y resulta muy útil en esta indicación.1 Después cubrimos el injerto óseo con L PRF™ para una mejor respuesta angiogénica de los tejidos.

16 GEISTLICH NEWS 1-2021
Dr. Scott H. Froum | EE. UU. Periodoncia e Implantología Oral Diplomado del American Board of Periodontology
«Los dientes con un pronóstico de poco favorable a insalvable se pueden reparar».

G Radiografía periapical a los 12 meses del seguimiento. | H Hueso nuevo alrededor de los dientes 11 y 12 en la reentrada.| I Resultado final. cumplimiento del paciente, es posible re parar dientes con un pronóstico de poco favorable a insalvable. 2 4

Dientes funcionales y estéticos después de salvarlos

La paciente fue sometida a un seguimien to de 12 meses, donde se puso especial atención a la regularidad de las visitas y a la higiene oral. Al año del seguimiento y en la reentrada para mejorar el perfil del teji do blando, confirmamos que el defecto se había rellenado por completo con hueso nuevo con una adaptación estrecha a los

dientes 11 y 12. La radiografía periapical tomada en el momento confirmó las ob servaciones clínicas. Este caso destaca la importancia de realizar los diagnósticos actuales en base a los biomateriales

rados que tenemos hoy en día.

Con un uso apropiado de los biomateria les, unos protocolos de descontaminación optimizados, la técnica quirúrgica y el

Bibliografía

1 Girlanda FF et al.: Clin Oral Investig 2019; 23 (10), 3885 93. (estudio clínico)

2 Cortellini P, et al.: J Clin Periodontol 2020; 47(6):768 776. (estudio clínico)

3 Bröseler F, et al.: J Clin Periodontol 2017; 44:520 9. (estudio clínico)

4 Sculean A, et al.: riodontol 2000 2015; 68(1):182 216. (estudio clínico)

A C B
mejo
17
| A Antes del tratamiento ortodóncico. | B CBCT periapical antes del tratamiento periodontal. | C Dientes (13 y 23) ferulizados. | D Bolsa intraósea de 7 mm después de abrir el colgajo. | E Geistlich Bio-Oss® Collagen rellenando el defecto. | F Membrana L-PRF™ bioactiva cubriendo el injerto óseo. |
D E F G H I
TEMA CENTRAL
Fotografías: Scott Froum Fotografías: Scott Froum FIG. 1: Un caso de tratamiento regenerativo de dientes insalvables.

Terapia periodontal regenerativa

«Nadie quiere ocultar su sonrisa»

El Dr. Frank Bröseler lleva 20 años practicando con gran éxito la terapia periodontal regenerativa, y ha investigado qué es lo que realmente les importa a los pacientes. Ha blamos con él acerca de los objetivos, las expectativas y el mejor momento para volver a motivar a los pacientes.

Dr. Bröseler, ha publicado un estudio retrospectivo sobre la terapia periodontal regenerativa con un amplio grupo de pacien‑ tes de su trabajo diario.1 ¿Qué es lo que quería descubrir?

Dr. Bröseler: Queríamos saber si los ex celentes resultados de reconocidos es tudios2, 3 se podían confirmar en un en torno clínico normal. En los estudios prospectivos se trata a los pacientes se leccionados: pacientes sin problemas graves de salud, con un buen cumpli miento, no fumadores, etc. Pero, ¿cuál es el éxito del tratamiento de un pacien te «común»? Por ejemplo, pacientes con diabetes o que tienen una higiene oral no tan perfecta.

¿Y qué es lo que descubrió?

Analizamos 1.008 dientes en 176 pacien tes durante diez años. Todos recibieron el tratamiento según nuestro algoritmo estándar (fig. 1). A pesar del abanico de las alteraciones en una población normal de pacientes, tuvimos el mismo éxito te rapéutico que mostraban los estudios prospectivos. El relleno óseo radiográfico fue de 3,8 mm después de un año y

permaneció estable durante diez años. Este aumento óseo se puede comparar con el obtenido con el desbridamiento con colgajo abierto solo, que es de unos 0,95 mm.4 El incremento óseo logrado fue mayor en los defectos profundos, y las profundidades al sondaje se reduje ron significativamente y permanecieron así durante el periodo de observación.

Algunos dentistas piensan que la terapia periodontal regenera tiva es demasiado impredecible. ¿Está de acuerdo?

No, en absoluto. Nuestra experiencia dia ria y los estudios clínicos nos demuestran lo contrario. Pero es necesario aprender correctamente la técnica. Los dentistas jóvenes suelen tener poco entrenamiento quirúrgico y deben adquirir conocimien tos adicionales. Es una técnica difícil para los principiantes, y si no disponen de una buena formación nada saldrá bien.

«La periodontitis es una enfermedad crónica que requiere un alto nivel de cumplimiento y una higiene oral muy buena durante toda la vida». El Dr. Bröseler posee más de 20 años de experiencia en la terapia periodontal regenerativa.

18 GEISTLICH NEWS 1-2021
Dr. Frank Bröseler | Alemania Consulta privada de periodoncia Aquisgrán Entrevista realizada por Verena Vermeulen

Usted también ha investigado el modo en que los pacientes perciben el resultado de la terapia periodontal.5 ¿Qué factor es el más decisivo para su satis facción?

Es importante tener presente que los pa cientes acuden a nosotros porque tienen problemas, como sangrado de las en cías, mal sabor de boca o dientes móvi les. Nunca nos piden que «rellenemos sus defectos óseos». Quieren recuperar su salud. Si lo conseguimos, aceptan pe queñas imperfecciones, por ejemplo, en la estética, que no siempre son posibles de resolver.

¿Entonces, la estética no es el principal problema?

No, no lo es. Pero según el paciente, el resultado estético puede ser más o me nos importante. Todos queremos ser ca paces de reír sin preocupaciones. Nadie quiere ocultar su sonrisa detrás de la mano. Y con la periodoncia regenerativa podemos conseguir este resultado esté tico óptimo. También podemos afirmar que la perio doncia regenerativa es el primer paso ha cia un resultado estético excelente, por que en caso de unas exigencias estéticas altas, también se necesitarán tratamien tos adicionales, como la cirugía plástica del tejido blando u ortodoncia.

19
«Los pacientes nunca nos piden que “rellenemos sus defectos óseos”. Lo que quieren es recuperar su salud.»
TEMA CENTRAL
Fotografía: Frank Bröseler

FASE PREOPERATORIA

Terapia no quirúrgica y antibacteriana

En caso de problemas persistentes, exámenes adicionales por parte de un médico y/o análisis microbianos, opcional

FASE QUIRÚRGICA

incisiones verticales de descarga

granulación.

afectado (aproximadamente el 10 % de los casos), se añade Emdogain®

7. Cierre de la herida sin tensión con un colgajo de desplazamiento coronal. Sutura de colchonero horizontal y suturas adicionales en las incisiones verticales.

8. En caso de movilidad: los dientes se estabilizan mediante férulas removibles o no removibles.

2. 1. 3.

6. En defectos no contenidos se añade Geistlich Bio-Gide® Perio, sin sutura ni pins

Clorhexidina al 0,2 % 3 veces/día durante la cicatrización de la herida en el posoperatorio, opcional

No usar cepillos interdentales etc. hasta que el tejido queratinizado se haya regenerado

Retirada de la sutura 10-14 días después de la cirugía

Primeros 6 meses con visitas de seguimiento a intervalos breves y limpieza dental profesional sin instrumentación subgingival

Reevaluación (clínica y radiográfica) 1 año después de la cirugía, comienzo del tratamiento de apoyo sistemático personal

*Medicación antibiótica perioperatoria complementaria (p. ej. amoxicilina y metronidazol, según la predisposición del paciente y los hallazgos, opcional)

20 GEISTLICH NEWS 1-2021
FASE POSTOPERATORIA
Geistlich Bio-Oss® Collagen.
Ilustración:
FIG. 1: Terapia periodontal regenerativa paso a paso
Quiant

En su publicación, los pacientes estaban más satisfechos después de la terapia regenerativa en comparación con el raspado y el alisado radicular o el desbrida‑ miento con colgajo abierto.5 ¿Por qué?

Porque sienten que el tratamiento rege nerativo ha sido muy exitoso a pesar de que partían de una situación muy difícil.

El raspado y el alisado radicular (SRP, por sus siglas en inglés) es más sencillo de realizar, pero provoca una recidiva de la enfermedad más frecuente que la te rapia regenerativa. Y el desbridamiento con colgajo abierto (OFD, por sus siglas en inglés) causa la recesión de la encía. Las consecuencias son dientes sensibles, una peor estética y una higiene oral más difícil; y todos estos factores pueden pro vocar la insatisfacción de los pacientes.

Los pacientes deben cumplir con las pautas durante muchos años. ¿Hay algún punto crítico cuando baja la motivación y es necesario volver a animar a los pacientes?

El proceso de la regeneración se comple ta transcurridos unos tres años, y enton ces se alcanza un nuevo statusquo. Tam bién existe el riesgo de que los pacientes se sientan demasiado confiados y opti mistas y, por tanto, no sean tan rigurosos con su higiene oral. Tenemos que recor darles que la periodontitis es una enfer medad crónica que requiere un alto nivel de cumplimiento y una higiene oral muy buena durante toda la vida.

¿Cuáles son los pasos para volver a motivar a los pacientes?

Transcurridos cinco años verificamos el estado radiográfico y conversamos lar gamente con los pacientes. Hablamos del pronóstico para todos sus dientes y lo ilustramos con los colores rojo, ama rillo y verde. Resaltamos los logros, pero compartimos con ellos también la lite ratura acerca de los índices de recaída y les recordamos que no pueden bajar la guardia.

¿Están los pacientes preocupa dos por la conservación de sus dientes?

En la mayoría de los casos, sí. Los dien tes naturales tienen muchas ventajas. Es más fácil masticar con ellos y no son tan susceptibles como los implantes de sufrir una infección.

La publicidad y el marketing sobre los implantes son muy positivos, y algunos pacientes creen que los implantes dura rán toda la vida. Pero el pronóstico de un implante es de solo unos 12 años. Noso tros podemos conservar los dientes na turales del paciente durante ese tiempo, probablemente más.

Aunque la terapia periodontal regenera tiva puede ser compleja, siempre es más rentable que un implante.

¿Siguen los pacientes sus reco mendaciones?

Por lo general, sí. En el caso de que algo no sea posible por motivos económicos, entonces tenemos que rebajar nuestros objetivos. Podemos optar, por ejemplo,

por una situación sana con una estéti ca menor.

En el caso de los pacientes con expecta tivas muy altas continuamos la terapia periodontal con ortodoncia porque, con frecuencia, las enfermedades periodon tales suelen estar acompañadas por el desplazamiento de los dientes. La mejor forma de evitar la recurrencia es recupe rar la posición correcta de los dientes y una anatomía natural, incluidas las papi las. Cuando hay una papila intacta, la placa bacteriana lo tiene más difícil para invadir los tejidos periodontales. Los re sultados son maravillosos, pero si se tie nen en cuenta el tiempo y la terapia que se necesitan, este tratamiento es mucho más caro.

Su propio algoritmo para el tra tamiento no solo se basa en los datos científicos, sino también en el equilibrio de los costes.

¿Cuánto tiempo lleva trabajando con este algoritmo?

El algoritmo es el mismo desde hace mu chos años. Planifico la terapia teniendo en cuenta exclusivamente los criterios médicos, y sobre estos se basa el plan de los costes. Nunca trabajo en función de los beneficios. El beneficio viene más bien de los pacientes satisfechos, que re comiendan nuestra consulta a los demás.

Bibliografía

1 Bröseler F, et al.: J Clin Periodontol 2017; 44 : 520 29. (estudio clínico)

2 Cortelini P & Tonetti MS.: Periodontol 2000 2015; 68(1): 282 307. (revisión sistemática)

3 Sculean A, et al.: Periodontol 2000 2015; 68(1): 182 216. (revisión sistemática)

4 Graziani F, et al.: J Clin Periodontol 2012; 39(2): 145 56. (revisión sistemática)

5 Franke M, et al.: Oral Health Prev Dent 2015; 13: 163 68. (estudio clínico)

6 Derks J, et al.: J Dent Res 2016; 95(1): 43 49. (estudio clínico)

21
TEMA CENTRAL
«Cuando hay una papila intacta, la placa bacteriana no puede entrar fá‑ cilmente en ella».

Enfoque regenerativo usando microcirugía endodóntica

Salvar los dientes afectados por defectos periapicales de grandes dimensiones

Cuando se trata de salvar los dientes, el éxito clínico depende en gran medida de los tratamientos periodontales y endo dónticos.1 De hecho, los dientes que se pierden durante el tratamiento perio dontal y los llamados «dientes insalva bles» suelen presentar problemas endo dónticos.

En los tratamientos endodónticos no quirúrgicos, los dentistas eliminan cui dadosamente la caries, la pulpa infla mada o infectada, limpian, desinfectan y conforman los conductos radiculares, y colocan una obturación para sellar el conducto. La tasa de éxito de este tra tamiento es menor cuando las lesiones

periapicales son extensas. En estos ca sos, el tratamiento endodóntico quirúr gico es una alternativa.

Las lesiones periapicales se encuentran entre las lesiones patológicas más comu nes en el hueso alveolar.2 Este tipo de le siones provoca defectos óseos y, cuando son grandes, el organismo no es capaz de regenerar hueso nuevo para rellenar los. Entonces el tejido conectivo invade el defecto óseo y afecta a los resultados clínicos.3

Injertar el defecto con un sustituto óseo y cubrirlo con una membrana reabsorbi ble puede ayudar al organismo a corregir

el defecto. En los tratamientos endodón ticos regenerativos para defectos gran des, como con la terapia periodontal regenerativa, los dentistas usan hueso autógeno y biomateriales, o una mezcla de ambos.

Los endodoncistas deberían diagnosti car la situación clínica, incluido el acceso al conducto, la ubicación y la anatomía de los dientes y de los tejidos circundan tes, y en caso de recidiva, la calidad del tratamiento endodóntico más reciente. Solo así es posible hacer un tratamien to no quirúrgico o quirúrgico apropiado.

Microcirugía periapical regene rativa

La microcirugía periapical regenerativa emplea los principios fundamentales de la endodoncia, la periodoncia y la odonto logía oral y restauradora. Por lo general, el objetivo del tratamiento es eliminar todos los posibles factores causantes de lesio nes periapicales, reparar la arquitectura del tejido periapical perdido y conservar la estructura y la anatomía de la raíz y de los tejidos blandos. También es importan te prevenir la recidiva de la enfermedad a largo plazo.

22 GEISTLICH NEWS 1-2021
Prof. Jose Mauricio Paradella de Camargo | Brasil Campinas Association of the Surgeon Dentists (ACDC) Campinas, São Paulo
«Uso biomateriales para las microcirugías periapicales y estoy muy satisfecho con los resultados clínicos».
En lugar de extraer o sustituir los dientes con implantes dentales, los endodoncistas prefieren prolongar la funcio‑ nalidad de las piezas dentales con raíces con traumatismo. Los avances actuales en la tecnología, los procedimientos y los biomateriales, permiten a estos especialistas salvar los dientes con una increíble tasa de éxito.

| A Tomografía computarizada de haz cónico (CBCT) coronal o sagital que muestra la proximidad de la lesión periapical y el seno maxilar. | B Oclusión correcta antes del tratamiento. | C Plantilla quirúrgica 3D para guiar el acceso. | D Osteotomía con el Piezotome Cube (Acteon, EE. UU.) usando la punta SL1 después de elevar el colgajo. | D Osteotomía con el Piezotome Cube (Acteon, EE. UU.) usando la punta SL2 | F Preparación retrógrada sobre la raíz mesiovestibular con una punta Berutti (EMS, Suiza) e irrigación salina. | G Biocemento Bio C Repair (Angelus, Brasil) aplicado en el conducto mesiovestibular. | H Fotografía con el microespejo de 3 mm para comprobar la obturación retrógrada en la raíz distovestibular del segundo molar derecho superior. | I Geistlich Bio-Oss® Small 0,5 g. (Geistlich Pharma AG, Suiza) en el sitio quirúrgico. | J Cavidad quirúrgica rellenada con Geistlich Bio-Oss® Small. | K Membrana Geistlich Bio-Gide® 25 × 25 mm usada para cubrir el injerto. | L Radiografía final después de la cirugía.

23
17 A B C D E F J K L H I G
FIG. 1: Microcirugía periapical regenerativa para tratar la periodontitis apical alrededor de las raíces mesiovestibular y distovestibular del diente
TEMA CENTRAL
Fotografías: Jose Mauricio Paradella de Camargo

La microcirugía periapical regenerativa incluye los siguientes pasos (figura 1):

1. Aumento mejorado para una resección mínima de la raíz;

2. Preparación ultrasónica del ápice de la raíz;

3. Obturación retrógrada con un mate rial biocerámico para la reparación de la raíz; y

4. Regeneración tisular guiada en el lu gar del defecto óseo.

Los índices del éxito de la microcirugía periapical regenerativa han aumentado de manera notable en los últimos años gracias a los avances en las técnicas di gitales para la planificación, la microsco pía, los instrumentos microquirúrgicos y los biomateriales para la regeneración ti sular guiada.3 4

La selección de los materiales regenerativos

A pesar de que los injertos autógenos sue len considerarse como el método de re ferencia para la odontología regenerativa, no siempre son la mejor opción. Suelen estar asociados a un dolor y una morbili dad mayores, porque es necesario extraer el injerto. En una revisión sistemática, Chavda y Levin (2018) constataron que los pacientes preferían sustitutos óseos no autógenos, porque se reducían los días de la hospitalización, el dolor era menor y el tiempo de recuperación era más cor to.5 Los autores no observaron ninguna

diferencia en el índice de éxito de los im plantes cuando la cresta alveolar se au mentaba con diferentes injertos óseos, in cluido el hueso autógeno.5

Uso biomateriales para las microcirugías periapicales y, hasta la fecha, estoy muy satisfecho con los resultados clínicos. El protocolo me ha permitido ayudar a mu chos pacientes a conservar sus dientes naturales insalvables, y a mantenerlos sanos y funcionales. Recientemente, mis colegas y yo publicamos un caso clínico donde detallábamos el protocolo y el re sultado clínico en el manejo de una lesión radicular grande mediante microcirugía periapical regenerativa.3 El quiste medía 40 mm en la zona más grande, y afectaba a varios dientes anteriores, a ambas placas corticales y en parte al suelo nasal. Debi do a las grandes dimensiones del defecto, decidimos usar una mezcla de Geistlich Bio‑Oss® y hueso autógeno obtenido de la rama ascendente de la mandíbula, junto con fibrina rica en plaquetas. El resulta do clínico era satisfactorio 4 años después de la cirugía (es decir, en el momento de la publicación). Además, cuando estudia mos las imágenes de la tomografía com putarizada de haz cónico, observamos que los tejidos estaban bien integrados, había hueso cortical nuevo y una radio pacidad y una forma trabecular parecidas a las del hueso nativo adyacente.

Hasta la fecha hay varios estudios que se centran en el uso de biomateriales en la cirugía periapical. Por tanto, cuando bus camos evidencia científica para explicar la regeneración ósea en el interior de las lesiones periapicales, confiamos princi palmente en estudios realizados en otras áreas de la terapia regenerativa. Dada la importancia de usar biomateriales con unos beneficios a largo plazo documenta dos y que tengan un alto nivel de eviden cia en comparación con otros materiales de injerto, los biomateriales de Geistlich son el producto de referencia.7 10

Bibliografía

1 Bröseler F, et al.: J Clin Periodontol. 2017; 44(5):520 9. (estudio clínico)

2 Peters E, Lau M.: J Can Dent Assoc. 2003; 69(9):598–600. (revisión)

3 Camargo JMP, et al.: Oral Surgery. 2019; 12, 323 331. (estudio clínico)

4 Floratos S and Kim S.: Dent Clin North Am. 2017; 61(1):81 91. (revisión)

5 Chavda S and Levin L.: J Oral Implantol. 2018; 44(1):74 84. (revisión)

6 Dietrich T, et al.: Oral Surg Oral Med Oral Pathol Oral Radiol Endod. 2003;95(4):474 82. (estudio clínico)

7 Schwartz Z, et al.: J Periodontol. 2000; 71(8):1258 69. (estudio preclínico)

8 Schneider, O. D. et al.: Acta Biomater. 2009; 5(5):1775 84. (estudio preclínico)

9 Figueiredo M, et al.: J Biomed Mater Res B Appl Biomater. 2010; 92(2):409 19. (estudio preclínico)

10 Lee JS, et al.: Clin Implant Dent Relat Res. 2017; 19(1):140 50. (revisión)

24 GEISTLICH NEWS 1-2021
«Dada la importancia de usar biomateriales con beneficios probados a largo plazo, los biomateriales de Geistlich son el producto de referencia».

«Una membrana de colágeno adecuada puede mejorar los resultados clínicos»

Los Drs. Gilbert Triplett y Jay P Malmquist publicaron el Libro blanco del colágeno en 2020. Hasta la fecha, la Osteo Science Foundation ha distribuido o se han des‑ cargado más de 8000 ejemplares de libro.

Dr. Triplett y Dr. Malmquist, ¿por qué escribieron el Libro blanco del colágeno?

Dr. Malmquist: Tenía la sensación de que los clínicos necesitaban una fuente obje tiva para entender los tipos de colágeno y los biomateriales que contienen colágeno, ya sea en su forma de productos comer ciales o como piedra angular en los proce dimientos regenerativos. Cuando recuer do la elaboración de la Regeneración Ósea Guiada y las continuas discusiones acerca de las barreras frente a las membranas, el colágeno siembre estaba en un primer plano como «barrera de elección». Me pareció que era importante definir mejor los productos de colágeno por el impacto de este material sobre la implantología dental, y por el desconocimiento básico entre los clínicos sobre el colágeno como coadyuvante para la cicatrización.

Dr. Triplett: El colágeno es uno de los bio materiales más usados en la odontología y en la medicina, pero los clínicos tienen unos conocimientos mínimos sobre los productos de colágeno y hay poca eviden cia científica de su eficacia. Las empresas de biomateriales han tenido reticencias a la hora de hacer ensayos comparativos, por eso en muchos casos la eficacia se basa en informes anecdóticos. Un ejem plo: algunas empresas de colágeno no han establecido el tiempo de funcionamiento de sus membranas, o cuánto tardan en reabsorberse. Los dentistas están

demasiado ocupados como para evaluar de manera crítica sus resultados. Por eso tenía interés en participar en este libro blanco; tanto para mi propio conocimien to como para nuestra profesión.

¿Por qué el colágeno?

Dr. Malmquist: Buena pregunta. En mi opinión, porque siempre ha sido el pro ducto «listo para usar» como barrera en los injertos. Solo hay que revisar el gran número de prospectos de productos, pu blicidad y manifestaciones erróneas para comprender la falta general de compren sión que existe. Por eso, escuchar a las per sonas decir que «todos los colágenos son iguales» es lo que me empujó a escribir el libro blanco, para mostrar las diferencias. Algunos dentistas compran pensando en el precio, pero muy pocos entienden cómo el colágeno afecta al proceso de cicatriza ción o al «coste» real de sus resultados. Muchos desconocen los diferentes tipos de colágenos, o como encajan en el ca mino de la regeneración. Esperamos que este libro blanco sirva de ayuda.

Dr. Triplett: Los colágenos suelen usar se de manera habitual, y tienen el poten cial para actuar como transportadores de las proteínas, los factores de crecimien to y las células vivas para la regeneración de los tejidos. Sin embargo, la mayoría de los dentistas no saben cómo utilizarlos o el motivo por el que hay que usar un pro ducto en lugar de otro. Muchas veces hay falta de evidencia científica.

¿Cuál cree que es el mensaje cla‑ ve a recordar del libro blanco?

Dr. Malmquist: Que el colágeno es de na turaleza compleja, y un coadyuvante para la cicatrización con un comportamiento

25 AMPLITUD DE MIRAS
Osteo Science Foundation – El Libro blanco del colágeno Entrevista con los Drs. R Gilbert Triplett y Jay P Malmquist realizada por Todd Scantlebury Dr. Jay P Malmquist primer presidente de la Osteo Science Foundation en 2014 Dr. R Gilbert Triplett presidente del Comité de Revisión Clínica y Científica de la Osteo Science Foundation 2014–2020 Fotografías: Gilbert Tiplett | Jay P Malmquist

variable. De hecho, el aspecto más impor tante es que los colágenos no son todos lo mismo, y su comportamiento difiere. El origen, la reticulación y el procesamiento son elementos clave en el comportamien to del colágeno.

Dr. Triplett: Los colágenos adecuados son útiles para la hemostasia, la estabilización del coágulo, una angiogénesis / vasculari zación rápida y la cicatrización de los te jidos duros y blandos. Los colágenos y las técnicas quirúrgicas correctos pueden ofrecer mejores resultados sin complica ciones o morbilidad, al tiempo que son rentables y ofrecen una mejor atención al paciente.

Usted invita a los fabricantes a «comprender y proporcionar evidencia en relación al modo en que sus colágenos interactúan con los tejidos de cicatrización, especialmente si sus biomateria‑ les de colágeno son capaces de proporcionar resultados regene rativos». ¿Por qué y qué es lo que hace que los resultados de la regeneración sean tan especiales?

Dr. Malmquist: La regeneración es críti ca para conseguir mejores resultados. Por eso, es clave preguntarse si el colágeno proporciona una plataforma de regenera ción adecuada. La mayoría de las indica ciones del colágeno sugieren su uso como coadyuvante para la cicatrización en los protocolos de la FDA, y ahora vemos suge rencias para usos adicionales (no inclui dos en las indicaciones) por parte de los fabricantes, con nula o escasa evidencia. En mi opinión, esto es una equivocación. Por desgracia, este error no solo se produ ce con el colágeno, sino con muchos de los diferentes sustitutos óseos. Es necesario que se disponga de una ciencia adecuada que avale las afirmaciones.

¿Qué aconseja a los dentistas jóvenes que intentan orientarse a través de los diferentes bioma‑ teriales de los que se dispone en la actualidad?

Dr. Malmquist: Para determinar el mejor

resultado para los pacientes, que deci dan basándose en la ciencia. Esto signi fica usar productos y técnicas que posean fundamento científico y proporcionen re sultados reproducibles. Que no utilicen trucos ni ciencia poco sólida. Que com prendan cómo los productos se ajustan al proceso de cicatrización de los pacientes. Que se alejen de productos sin evidencia y sin base real de uso. Por ejemplo, ¿con tiene el hueso alógeno liofilizado BMPs?

Probablemente no, pero aun así esto se publicita en el material de las empresas. Estén atentos a la información falsa o en gañosa, busquen la evidencia, escuchen a los expertos que usan correctamente los productos y asegúrense de que no tie nen conflictos de interés. ¿Está recibien do esta persona un pago por su promo ción? Actualmente hay mucha confusión en este sentido. Así que la respuesta final es: usen productos con base y evidencia científicas.

¿Cuál es el futuro de los biomate‑ riales de colágeno y cómo afec tarán a la futura generación de cirujanos y a sus pacientes?

Dr. Malmquist: El futuro de los biomate riales es infinito. Las construcciones 3D serán algo habitual, se fabricarán median te impresión 3D y en ellas se introduci rán antibióticos, factores de crecimiento y proteínas óseas. También se usarán como transportadores de células, y sus superfi cies bioactivas incorporarán células para una cicatrización más rápida y mejor. El futuro es inmenso para todos nosotros. La interacción de la ciencia, la regeneración y la mejora de los resultados no solo in fluirá en los productos sino también en

las vidas de las personas en los próximos años. El colágeno será la columna verte bral de muchos de estos proyectos. Com prender el colágeno es comprender el fu turo de la regeneración en la medicina y la odontología.

Dr. Triplett: Además del uso actual como membrana de barrera, hemostático, etc., el empleo del colágeno en la ingeniería de tejidos para la regeneración tisular su pondrá un cambio de paradigma. Los an damiajes de colágeno han demostrado influir sobre la actividad celular dentro y junto a las estructuras tisulares, actuando como un agente activo en lugar de pasivo y proporcionando interacciones biológi cas y un mejor rendimiento en los siste mas biológicos.

¿Habrá más publicaciones de Os teo Science como el Libro blanco del colágeno?

Dr. Malmquist: Sí, las habrá. En la Fun dación pensamos que debemos escribir también libros blancos sobre los facto res de crecimiento, los modificadores de la sangre y los productos asociados para ayudar a seguir definiendo esta área de la regeneración. El único factor limitante es el tiempo. Contamos con el talento nece sario para hacerlo.

Dr. Triplett: Sin lugar a dudas. Este es solo el principio.

Puede descargar el Libro blanco del colá geno en: www.osteoscience.org/ advances

26 GEISTLICH NEWS 1-2021
Ilustración: Quiant
«Nuestra recomendación a los jóvenes dentistas es que usen productos con base y evidencia científicas».

El movimiento ortodóncico de los dientes forma hueso nuevo

Las imágenes histológicas se obtuvieron du rante un ensayo controlado aleatorizado en curso. Después de la elevación del colga jo, el desbridamiento de la superficie radi cular y la eliminación de los tejidos granu lares, los defectos intraóseos se rellenaron con Geistlich Bio‑Oss ® y se cubrieron con Geistlich Bio‑Gide® 1 Los pacientes del grupo experimental se sometieron a un movimien to dentario ortodóncico (MDO). En el grupo de control, los dientes permanecieron feruli zados sin MDO.

En el momento de la reentrada, a los 9 meses, se tomaron muestras del núcleo óseo y se ana lizaron. Geistlich Bio‑Oss® se había integrado en el hueso neoformado en ambos grupos. En el grupo experimental, el índice de neoforma ción ósea fue mayor, y el MDO postoperatorio pareció inducir una remodelación que inter fería con el injerto favoreciendo la formación de hueso nuevo, en especial en las regiones de compresión.

FIG.

Bibliografía

1 Nagy P, et al.: Int J Periodontics Restorative Dent. 2019 11;40(3):321–30. (estudio clínico)

27 AMPLITUD DE MIRAS
Histología
FIG. 1: Se observó un contacto estrecho del hueso nuevo con las partículas del injerto, caracterizado por la penetración de las extensiones óseas en la superficie del injerto. 2: Sección transversal de la parte reparadora del cono de remodelación («cutting cone»). Osteoblastos secretando el hueso reticular recién formado. FIG. 2 FIG. 1
«La observación de las células gigantes multinu‑ cleadas y los conos de remodelación confirma la seguridad y la previsi‑ bilidad de la regenera‑ ción ósea periodontal combinada con MDO usando Geistlich Bio‑Oss®».
Histología: Peter Schüpbach

Cinco expertos en activo durante la pandemia

La pandemia por el coronavirus ha afectado a todo el sector sanitario de uno u otro modo. Ha cambiado su forma de vivir, de trabajar y de socializarse. Hemos preguntado a cinco clínicos de cinco países el impacto que la pandemia ha tenido en su vida profesional como dentistas.

28 GEISTLICH NEWS 1-2021 Puntos de vista
Fotografía: ©iStock Editorial / Tzido

Dra. Aranguren, ¿cuál fue el im pacto inmediato de la aparición del virus en su consulta?

Dra. Aranguren: Cancelamos todas las ci tas de atención rutinaria o no esenciales. Solo estuvimos disponibles para urgen cias bajo unos niveles altos de desinfec ción. Era importante actuar con rapidez porque nos sentíamos responsables de obrar con el mejor interés y la máxima seguridad para nuestros pacientes, cole gas y comunidad.

¿Cómo se lo comunicó a sus pacientes?

Enviamos cartas y correos electrónicos, hicimos llamadas de teléfono y actuali zamos constantemente nuestro sitio web con la información más actual y los pro tocolos que adoptamos para seguir pro porcionando el mejor servicio.

¿Cómo fue la reanudación de la actividad de la consulta después del confinamiento?

Fue un proceso lento. Modificamos los

> Primer caso confirmado el 21 de enero de 2020

> 72.620 casos confirmados/1 millón de personas*

> 398.435 fallecidos

horarios y las citas para reducir el tráfico en la zona de la recepción, calculamos más tiempo para la desinfección y man tuvimos la distancia social por la segu ridad de nuestros pacientes y nuestro equipo. También invertimos en equipos de protección individual (EPI) nuevos y mejorados y en sistemas de ventilación. Afortunadamente ya estamos de vuelta y ofrecemos los niveles más altos de con trol de infecciones.

¿Cuáles fueron los protocolos de higiene que usó para prote ger a su equipo y a los pacien‑ tes?

Adoptamos un enfoque múltiple: medi ción de la temperatura de cada paciente y miembro del equipo, estaciones de higie nización por toda la consulta, EPI nuevos para todo el personal, instalación de pu rificadores de aire de última generación con sistemas de alta evacuación extraoral para absorber los aerosoles dentales y los contaminantes, y nebulizaciones regula res con ácido hipocloroso, como se hace en los hospitales para una desinfección

máxima. También retiramos las revistas, las cafeteras y los folletos de las salas de espera, y los pacientes tenían que entrar en la consulta con mascarilla.

¿Cuál ha sido la principal lección como profesional sanitario du rante la pandemia?

He aprendido que para sobrevivir ne cesitamos evolucionar y adaptarnos a las circunstancias. Han sido unos tiem pos extraños, pero puedo decir satisfe cha que nos han enseñado, a mí y a mi equipo, que a través de la resiliencia, el orgullo y la dedicación profesional que somos capaces de superar casi todo.

29 AMPLITUD DE MIRAS
Dra. Liliana Aranguren | EE. UU. Periodoncista y cirujana de implantes dentales en el sur de Florida
«Nuestro trabajo durante este periodo nos proporcionó una sensación de gran satisfacción».
«Con resiliencia, orgullo y dedicación profesional podemos superar casi todo».
*Datos de la Organización Mundial de la Salud 1.2021 EE. UU. Fotografía: Liliana Aranguren

REINO UNIDO

> Primer caso confirmado el 31 de enero de 2020

> 51.642 casos confirmados/1 millón de personas*

> 93.290 fallecidos

Dra. Somi, ¿cuál fue el impacto inmediato de la aparición del virus en su consulta?

Dra. Somi: El cierre inmediato de la con sulta para todos, incluso para aquellos pacientes que se encontraban a mitad de sus tratamientos. El confinamiento fue un tiempo muy estresante para todos, ade más de una importante carga financiera para nosotros.

¿Cómo se lo comunicó a sus pacientes?

Primero llamamos a los pacientes y can celamos las citas. Por supuesto, al princi pio todos estábamos en estado de shock. Pero después empezamos a pensar para prepararnos ante lo que iba a venir. Hi cimos vídeos para los pacientes, para que pudieran comprender cómo iba a ser la reapertura. Les informamos acerca de las medidas de seguridad que habíamos implementado. Queríamos que supieran que la consulta dental era uno de los si tios más seguros a los que podían acudir.

¿Cómo fue la reanudación de la actividad de la consulta después del confinamiento?

Durante el confinamiento aprovecha mos el tiempo para planificar cuidado samente una estrategia de reapertura viable. Instalamos equipos de alta ca lidad para el control de las infecciones cruzadas. Formamos a nuestro perso nal. Por eso, cuando reabrimos, nuestros

pacientes se dieron cuenta del duro tra bajo que habíamos hecho, nos recono cieron por ello y se sintieron seguros en su vuelta. Hemos tenido una respues ta muy positiva de nuestros pacientes, p. ej., en las revisiones de Google en los últimos meses. Escribieron para decir lo seguros que se sintieron, lo que ani mó a pacientes nuevos a acudir a nues tra consulta.

¿Cuáles fueron los protocolos de higiene que usó para protegerse a sí misma y a su equipo?

Compramos purificadores de aire, aspira dores extraorales, mascarillas EPI y el

equipo necesario para el control de infec ciones cruzadas a pesar del gasto econó mico que suponía. Aceptamos a menos pacientes al día. Dejamos de utilizar la sala de espera: los pacientes pasaban directa mente al gabinete según llegaban.

¿Cuál ha sido la principal lección como profesional sanitario du rante la pandemia?

Seguimos aprendiendo a vivir con esta «nueva normalidad». Una de las leccio nes fue superar el pánico y sustituirlo por la anticipación. También aprendimos que merece la pena invertir en medidas de seguridad de alta calidad porque au menta la confianza de los pacientes.

Trabajando con mascarilla y cerca de un sistema de aspiración extraoral.

30 GEISTLICH NEWS 1-2021
Dra. Safa Somi | Reino Unido Especialista en prostodoncia en la clínica Harrow Dental Practice
Fotografía:
Safa Somi

AUSTRALIA

> Primer caso confirmado el 25 de enero de 2020

> 1.127 casos confirmados/1 millón de personas*

> 909 fallecidos

Fueron muy comprensivos. La crisis ha bía afectado a todos; y los pacientes eran conscientes de que a nosotros también.

¿Cómo fue la reanudación de la actividad de la consulta des‑ pués del confinamiento?

«Durante las restricciones solo pudimos aliviar el dolor y las infecciones, pero fue extraordinario ser capaces de ayudar a la comunidad con nuestra pequeña contribución».

Dr. Graham, ¿cuál fue el impacto inmediato de la aparición del virus en su consulta?

Dr.Graham: El virus llegó lentamente a Australia. El número de casos comenzó a aumentar en marzo de 2020. Las normas solo nos permitieron aceptar los casos ur gentes durante unas seis semanas. Des pués pudimos reabrir en condiciones muy estrictas, p. ej., sin utilizar procedimientos que generasen aerosoles.

¿Cómo

se comunicó con sus

pacientes?

En primer lugar llamamos a los pacien tes que tenían citas programadas y les informamos. Después creamos boleti nes informativos por correo electrónico para todos los pacientes de nuestra base de datos. También publicamos posts en las redes sociales. Queríamos permane cer conectados con nuestros pacientes y mantener la comunicación con ellos.

Durante el confinamiento mantuvi mos el contacto entre los miembros del equipo, compartimos la formación y aprendimos los unos de los otros. Se guimos todos los protocolos de seguri dad e informamos a los pacientes de lo que estábamos haciendo. Pero seguía mos preocupados porque no sabíamos si los pacientes iban a volver. Pero re gresaron, y confiaron en nosotros. Fue algo muy bonito.

¿Cuáles fueron los protocolos de higiene que usó para proteger a su equipo y a los pacientes?

Utilizamos muchos protocolos, como el control de las infecciones cruzadas, equi pos de protección individual adicionales y la esterilización de los instrumentos. Además pedimos a nuestros pacientes

que permanecieran fuera hasta que les llamásemos para el tratamiento. Tam bién aumentamos el número de dispen sadores de gel hidroalcohólico para las manos, y retiramos todos los objetos que no eran necesarios, como las botellas de agua y las revistas en la sala de espera, o la silla que había en la zona de pago.

¿Cuál ha sido la principal lección como profesional sanitario du‑ rante la pandemia?

Apreciar las cosas que dábamos por su puestas, como el modo en que interac tuamos con nuestros pacientes. Y ser exigentes, tanto en la atención al pacien te como en los protocolos para el con trol de las infecciones cruzadas. Hemos hecho una revisión continua de nues tro trabajo y mantenido a nuestro equi po motivado durante el confinamiento Esto nos ayudó a estar preparados para el momento en que volviéramos a abrir.

«Comenzando la semana con una reunión virtual con el equipo. Hablamos sobre los pacientes que necesitaban un tratamiento urgente y cómo sería el funcionamiento de la consulta esa semana».

31
Dr. Alistair Graham | Australia Cirujano dental en Mona Vale
AMPLITUD DE MIRAS
Fotografías: Alistair Graham

BRASIL

> Primer caso confirmado el 26 de febrero de 2020

> 40.336 casos confirmados/1 millón de personas*

> 211.491 fallecidos

Dr. Nunes, ¿cuál fue el impacto inmediato de la aparición del virus en su consulta?

Dr. Nunes: El impacto inmediato fue la in terrupción repentina de toda mi actividad clínica y académica. La situación exigió encontrar con rapidez la forma de adap tarnos a las nuevas condiciones de los cursos y los eventos virtuales en general.

¿Cómo se lo comunicó a sus pacientes?

Principalmente a través de WhatsApp. Explicamos a los pacientes los riesgos y el impacto sobre la salud que provoca ba el contagio con el nuevo coronavirus.

¿Cómo fue la reanudación de la actividad de la consulta después del confinamiento?

La recuperación de la actividad trajo con sigo un protocolo clínico más estricto para la bioseguridad, que actualmente es

«Intervalos de tiempo mayores entre las visitas de los pacientes redujeron el riesgo de contacto en la recepción».

totalmente manejable. Vamos a mante nerlo, porque nos permitirá tener un ma yor control sobre los riesgos del contagio. La situación actual va a crear unas con diciones nuevas que reducirán la propa gación de las enfermedades. Desde una perspectiva financiera, la pandemia ha tenido un impacto sin precedentes sobre la economía de nuestros pacientes. He mos tenido que revisar los protocolos de los tratamientos más caros y adaptarlos a los presupuestos de los pacientes para no poner en peligro su economía.

¿Cuáles fueron los protocolos de higiene que usó para prote ger a su equipo y a los pacien tes?

Aumentamos los intervalos entre las vi sitas de los pacientes. A su llegada a la clí nica tenían que ir al cuarto de baño para desinfectarse las manos con antisépticos y gel hidroalcohólico al 70 %. Implemen tamos sistemas para la filtración del aire y la esterilización tanto en la zona de la recepción como en toda la clínica. Todos los dentistas y los auxiliares tenían que usar los EPI recomendados por las auto ridades responsables.

¿Cuál ha sido la principal lección como profesional sanitario du rante la pandemia?

Salir de mi zona de confort y adaptarme a la nueva realidad de la práctica clínica y los eventos en línea. También he tenido que buscar nuevas formas para la enseñanza que me permitieran mantener la calidad y la interacción con los estudiantes.

32 GEISTLICH NEWS 1-2021
Dr. Marcelo Nunes | Brasil Profesor universitario y cirujano dental en São Paulo
«Creo que vamos a mantener los protocolos de bioseguridad que hemos adaptado, porque nos permite un mayor control sobre los riesgos del contacto».
Fotografía: Marcelo Nunes

CHINA

> Primer caso confirmado a finales de 2019

> 68 casos confirmados/1 millón de personas*

> 4.808 fallecidos

Dr. Zhu, ¿cuál fue el impacto in‑ mediato de la aparición del virus en su consulta?

Dr. Zhu: De febrero a abril cerramos todas las clínicas para los tratamientos genera les, y hasta junio para las cirugías. Taikang Bybo es la mayor cadena dental en China. Con nuestros elevados gastos, como el al quiler, el material y el laboratorio, y sin in gresos, nuestro movimiento de caja se en contraba bajo una gran presión.

¿Cómo se lo comunicó a sus pacientes?

Por ejemplo, empezamos a organizar al gunos programas de transmisiones en directo para responder a las preguntas de los pacientes. Nuestro principal interés era la atención sanitaria durante la pan demia, así nuestros pacientes podían en tender cómo se podía evitar la visita a la clínica o cuándo era necesario un trata miento urgente. Me sorprendió ver que durante nuestra primera transmisión ha bía 100.000 participantes. Esto me inspi ró para lanzar un programa virtual: un evento solidario cuyos beneficios se do naron a Wuhan.

¿Cómo fue la reanudación de la actividad de la consulta después del confinamiento?

Aunque la situación está bajo control en China, esta pandemia es una crisis glo bal. No se sabe a ciencia cierta cuándo acabará ni cómo influirá sobre el sector de la odontología en el futuro. Algo que

ayudó a nuestra recuperación después del confinamiento fue el modelo de se guro Taikang Bybo. En China, el seguro básico no cubre los costes de la mayoría de los tratamientos dentales. Lanzamos nuestro modelo, llamado «Heartwar ming GO PLUS», para cubrir un amplio abanico de tratamientos para toda la fa milia en un plan de prepago. También establece una mejor comunicación en tre nuestros dentistas y los clientes.

¿Cuáles fueron los protocolos de higiene que usó para proteger a su equipo y a los pacientes?

Hemos reforzado nuestra prevención de epidemias y las medidas de con trol. Hemos establecido y ampliado las

plataformas para citas y consultas vir tuales. Sometimos a los pacientes a un cribado y un triaje precisos antes del tra tamiento. Ampliamos el equipo para el control de las infecciones cruzadas. Y nuestra plantilla asistió a cursos sobre la prevención y el control.

¿Cuál ha sido la principal lección como profesional sanitario du rante la pandemia?

«Crisis» es una elección entre «amena za» y «oportunidad». Comenzamos a transformar y digitalizar nuestro traba jo. Aprendimos a reducir las pérdidas, a recuperar y a atender a nuestros pacien tes, de modo que al final superamos el desafío de la epidemia.

33 AMPLITUD DE MIRAS
Toma de la temperatura de los pacientes en la recepción. Dr. Zhu Zhenghong | China CEO de Taikang Bybo Dental
Fotografía: Wang Zhao

A LA BÚSQUEDA

DE LA MEMBRANA DE BARRERA IDEAL JORDI CABALLÉ-SERRANO es cirujano oral e investigador científico

Como clínico, quiero un resultado óptimo y duradero para mis pacientes cuando aplico el concepto de la regeneración ósea guiada.

Como científico, sé que las membranas de colágeno del mercado tienen diferentes estructuras, por lo que poseen distintas propiedades regenerativas.

Los estudios demuestran que las membranas de barrera son importantes para el éxito de la regeneración ósea guiada (ROG) en la implantología dental.1

PERO, ¿que membrana debo usar? ¿Debe ser parecida al periostio?

El PERIOSTIO

es una capa densa de tejido conectivo vascular que cubre la superficie de la mayoría de nuestros huesos. Sirve como protección y como canal para el suministro de la sangre y los nutrientes, y proporciona células progenitoras para la regeneración de los tejidos.

Osteona

Laminillas concéntricas Hueso esponjoso

Una vez dañado durante la ROG, el periostio tarda entre 4-6 semanas en repararse.2-3

Canal central

Osteocito Vaso sanguíneo Nervio

Colgajo de espesor total Incisión de descarga

Studio Nippoldt, Berlín

En el congreso dental en Berna Periostio Periostio Berna Barcelona Imágenes:
Ilustración: © Studio Nippoldt, Berlín

Tenemos que usar una membrana de colágeno que sustituya al periostio hasta que este se haya reparado. Nada más y nada menos.

Necesitamos una membrana COMPLETAMENTE biocompatible, que permita la vascularización y proteja el hueso subyacente.

Conversaciones con el Prof. Dr. Dieter Bosshardt, Universidad de Berna

CARACTERIZACIÓN FÍSICA Y MECÁNCIA

Las membranas de colágeno tienen diferentes propiedades. Están fabricadas a partir de distintos orígenes y su procesamiento depende del fabricante.

Analicémoslas en el laboratorio y veamos cuáles son las diferencias.

Geistlich Bio-Gide® demostró poseer todas las propiedades físicas y mecánicas que debe tener una membrana, p. ej., para ROG. 4

Datos normalizados para los parámetros que se deben maximizar o minimizar para, p. ej., conseguir la máxima humectabilidad, como se ha visto en Geistlich Bio-Gide®. Respecto a la rigidez, las líneas verdes significan: normalizado para los casos clínicos donde se desea una menor rigidez; las líneas discontinuas negras significan: normalizado para los casos donde se desea una mayor rigidez.

Membrana deseada Geistlich Bio-Gide®

Biocompatible Espaciadora

Oclusiva durante el periodo deseado

Manipulación sencilla

Bioactivación5

Como científico quiero entender la relación entre la estructura y las propiedades de los biomateriales.

Como clínico me ayuda a elegir para mis pacientes la membrana más fiable y probada clínica y científicamente.

De vuelta en Barcelona. Geistlich Bio-Gide® Botiss Collprotect® Botiss Jason® Membrana de colágeno Genoss™ – P
pH Rigidez
Lamina OsteoBiol® Tensión
Absorción Humectabilidad
AMPLITUD DE MIRAS 35 Referencias: ver la página 39

«No hay mal que por bien no venga»

Gustavo Ávila-Ortiz nació en Granada, España. Actualmente es catedrático y director del Departamento de Periodoncia de la Facultad de Odontología de la Universidad de Iowa, en Iowa City (EE. UU.). Hace seis años entró en contacto por primera vez con la Osteology Foundation. La Fundación ha hablado con él acerca de cómo se ha desarrollado su carrera profesional desde entonces y cómo la organización le ha ayudado en este proceso.

Gustavo se convirtió en miembro del equipo THE BOX en 2015 hasta 2019. Su primera reunión con el grupo en Zúrich fue tam bién la primera vez que visitó Suiza. Le gustaron todos los aspec tos de la experiencia: se reencontró con antiguos amigos, trabó nuevas amistades y conoció la cultura y la visión de la Fundación. En los posteriores encuentros virtuales y en persona se trabajó estrechamente bajo la guía y el soporte de la Osteology Founda tion para expandir, perfeccionar y monitorizar la estructura y el contenido de THE BOX. En 2016, Gustavo se unió también a la

«familia Expert Council». «Todavía guardo la invitación. Es algo que llevo con honor y con orgullo. Desde que me uní a esta “fa milia” he actuado principalmente como revisor de las solicitu des de subvenciones, y participé en varios simposios, tanto como orador como en el comité organizador. Ha sido una experiencia enriquecedora y estimulante».

Una familia siempre disfruta reuniéndose

«Osteology Monaco 2016 fue el primer evento formativo de Os teology al que asistí, y disfruté enormemente la experiencia», re cuerda Gustavo. Además de un programa y unos ponentes ex traordinarios, Gustavo disfrutó mucho de los eventos sociales. Se reencontró con muchos amigos con los que pasó momentos muy agradables.

En 2018, la Fundación le invitó a ser uno de los ponentes del programa principal y jurado del concurso de investigación en el concurso de investigación en el National Osteology Symposium EE. UU. (Phoenix). El tema de su presentación fue el «Aumento del seno maxilar». Tuvo la oportunidad de compartir el estrado con gigantes de este ámbito y de aprender enormemente de to dos ellos. «Mi enhorabuena a los presidentes, Pamela McClain y William Giannobile, y al resto del equipo por organizar un evento de tan alta calidad», afirma.

En 2019 participó en el encuentro anual de la AAP (American Academy of Periodontology) como conferenciante durante la sesión de la Osteology Foundation. Compartió el estrado con Purnima Kumar, Frank Schwarz y Paul Rosen. Su presentación llevaba como título «Optimizing Single Tooth Replacement by Leveraging on Regenerative Therapy and Digital Technologies». Él añade: «Me siento orgulloso de que dos organizaciones muy importantes para mí, la AAP y la Osteology Foundation, hayan establecido una colaboración sólida y beneficiosa para ambas

Acerca de Gustavo Ávila-Ortiz Gustavo en la tribuna durante la sesión de Osteology en AAP 2019 Fotografía: Daniele Micieli

partes. Son estas sinergias las que nos permiten crecer juntos más fuertes».

No hay mal que por bien no venga

Desde comienzos de marzo de este año, la aparición de la pan demia por COVID 19 ha cambiado notablemente nuestras vidas y rutinas. La historia de la civilización nos ha demostrado que el Homo sapiens es una especie capaz de responder y adaptarse a las situaciones desafiantes. Y eso es precisamente lo que hizo el equipo encargado de la organización del National Osteology Symposium EE. UU.: respondió y se adaptó a las circunstancias con el objetivo de cumplir su compromiso de ofrecer un Natio nal Osteology Symposium de calidad. «¡Fue un placer ser parte de un grupo tan comprometido y dinámico!», afirma orgulloso. Gustavo supo reconocer el lado positivo de la situación y asumió de manera entusiasta la responsabilidad de ser el moderador de las sesiones en vivo. En cierta medida, la situación era nueva para todos nosotros. «Fue divertido interactuar con ponentes que se encontraban a miles de kilómetros de distancia, y ser la voz de cientos de asistentes que enviaban preguntas y comentarios du rante las ponencias», recuerda.

Después de esta experiencia digital pedimos a Gustavo que nos diera su opinión general sobre la importancia de la digitaliza ción: «¡La importancia es enorme! La experiencia con el Virtual Osteology Symposium EE. UU. en abril, el Virtual Osteology Sym posium Sídney en junio y, más recientemente, la Virtual Osteo logy Research Academy en septiembre, han demostrado que este modo de divulgación de ciencia básica y clínica funciona y ofrece oportunidades para el futuro. Creo que debería entenderse como algo que complementa y no sustituye a los eventos científicos tra dicionales presenciales».

Aprovechar la oportunidad

Gustavo recuerda el momento en julio de 2020 cuando reci bió una notificación de la Osteology Foundation informándo le de que él y su equipo habían ganado la subvención Osteolo gy Researcher. El título del proyecto es «Spatial Co Localization of Immune And Microbial Cell Populations In Peri Implantitis

Lesions: A Quantitative And Architectural Analysis». Pedimos a Gustavo que nos explicase el propósito del estudio: «Nues tro principal objetivo es investigar la dinámica microbiana del hospedador en las lesiones por periimplantitis, determinando el medio inflamatorio en el tejido afectado, localizando las células

inmunitarias clave y mapeando las especies microbianas que se encuentran en el mismo tejido afectado. Con este estudio espe ramos generar información nueva que contribuya a la base del conocimiento de la etiopatogenia de las lesiones de la periim plantitis».

Gustavo añade: «Voy a intentar solicitar las subvenciones de la Osteology Foundation en el futuro. Me apasiona el hecho de que existan diferentes oportunidades a la medida de las diferentes fases de una carrera profesional, incluidos los investigadores jó venes y los experimentados, así como subvenciones importantes para apoyar proyectos específicos con un gran potencial, que re quieren una mayor inversión económica. La Osteology Founda tion es una organización única. Está comprometida con el apoyo a la investigación y la formación en beneficio de nuestros pacien tes. Estas subvenciones son la muestra de ello».

Los próximos pasos de Gustavo «Estoy contento de estar donde estoy ahora. He tenido la suerte y el privilegio de conocer e interactuar con personas maravillo sas desde que tuve la oportunidad de trabajar estrechamente con la Osteology Foundation. Sería un placer seguir trabajando con la organización en el futuro. Estoy comprometido a ayudar en la misión principal de la Fundación, ya que me identifico con el espíritu de unir la ciencia con la práctica en la regeneración oral mediante una investigación y una formación de calidad», expli

ca al finalizar la charla.

Editorial ©2020 Osteology Foundation Landenbergstrasse 35 6002 Lucerne Suiza Teléfono +41 41 368 44 44 info@osteology.org www.osteology.org 37 OSTEOLOGY FOUNDATION
«Trabajar dentro de la Osteology Foundation ha sido una experien‑ cia enriquecedora y estimulante».

Una conversación con Amanda Monteiro

La «Geistlich Charity Walk & Run» encontró una ONG (organismo no gubernamental) en «Turma do Bem» que se merece todo nuestro apoyo. Y con Amanda Monteiro, Geistlich cuenta con una colaboradora de proyecto competente y motivadora.

Amanda, usted ha estado trabajando con «Turma do Bem» desde 2015. ¿Qué es lo que hace esta ONG?

A. Monteiro: Turma do Bem apoya a la población vulnerable, in cluidos los jóvenes y las mujeres víctimas de la violencia con gra ves problemas de salud oral. Nuestra misión es hacer accesibles los tratamientos dentales a las personas que han sufrido cual quier forma de abuso dejándole secuelas físicas en el cuerpo y el rostro, y psicológicas. En los últimos 18 años, el programa Apolô nias de Turma do Bem ha ayudado a más de 80.000 víctimas de la violencia.

¿Por qué el dios griego Apolo dio nombre a su programa?

El programa recibe su nombre de Santa Apolonia, que murió en Alejandría en el año 248 después de ser arrestada, torturada y de que le arrancaran o partieran los dientes violentamente. Popular mente se la considera como la patrona de la odontología.

¿Dónde cree que «Turma do Bem» tendrá que desarrollar una mayor actividad en el futuro?

La mayor necesidad es dar respuesta a las necesidades de las mujeres víctimas de la violencia. También tenemos que mante ner el compromiso de nuestros voluntarios, una red de más de 17.400 dentistas.

¿Qué impacto ha tenido la pandemia por el coronavirus sobre la causa que usted defiende con el programa «Apolonias do Bem»?

En Brasil, una mujer es víctima de violencia doméstica cada dos minutos. Este número ha aumentado un 50 % durante el confi namiento, lo que ha supuesto un crecimiento de las peticiones de un tratamiento dental. Los psicólogos inciden en que la tensión causada por el aislamiento social, especialmente si las mujeres conviven con un hombre violento, y la separación de sus fami liares y amigos durante este periodo son factores que han con tribuido al aumento del número de víctimas.

¿Qué conclusiones saca de su colaboración con Geistlich hasta la fecha?

Geistlich es una empresa con auténtica responsabilidad social.

Lleva dos años apoyando el programa de Apolônias do Bem en Brasil, tanto de manera económica como a través de la donación de biomateriales. En el contexto actual de la pandemia, la inicia tiva Charity Walk & Run nos ha ayudado a continuar con nuestra atención en 2021, en unos momentos donde era realmente difí cil encontrar fondos por la crisis. ¡Muchísimas gracias otra vez!

¿Cómo se han concretizado las donaciones de Geistlich Pharma?

Gracias a la iniciativa Geistlich Charity podemos cubrir los cos tes del tratamiento dental de unas 50 mujeres víctimas de la vio lencia. El edentulismo, o tener una salud dental deficiente, cam bia todos los aspectos de la vida y el bienestar, la posibilidad de encontrar un trabajo o incluso de ser querida. Estas mujeres re cuperan su dignidad y la autoestima. No es exagerado decir que estas donaciones cambian vidas.

¿Qué es lo que le pide al 2021?

La pandemia por el coronavirus ha afectado de manera dramática las vidas de los más pobres de Brasil. Nos preocupan cosas muy básicas de este grupo de la población. Esperamos poder cambiar lo y construir un mundo donde todos puedan sonreír.

Monteiro es científica social y responsable de las relaciones institucionales de Turma do Bem desde 2015. También es directora de los proyectos «Apolônias do Bem» y «Dentista do Bem».

38 GEISTLICH NEWS 1-2021
Entrevista
Entrevista realizada por Thomas Pfyffer Fotografía: Gustavo Aquino

Referencias para las páginas 34-35

1 Bassir SH, et al.: Int J Oral Maxillofac Implants. 2018;33(5):979 94.

2 Hasuike A, et al.: In Vivo. 2019;33(3):717 22.

3 Nakahara K, et al.: Int J Oral Maxillofac Implants. 2016; 31(4):785 92.

4 Caballé Serrano J, et al.: J Mech Behav Biomed Mater. 2019;97:13 20.

5 Caballé Serano J, et al.: J Clin Exp Dent 2018; 10(5): c477 83

Número 2 | 21

se publicará en julio / agosto de 2021.

TEMA CENTRAL

La nueva práctica diaria

> ¿Cuál es la rentabilidad de los tratamientos preventivos de regeneración?

> La información para el paciente en las situaciones complejas

> Ahorro de tiempo con enfoques de tratamiento inteligentes

> La evidencia más reciente de la bibliografía científica

39 GENERALIDADES
Editorial ©Geistlich Pharma AG Business Unit Biomaterials Bahnhofstr. 40 6110 Wolhusen, Suiza Tel. +41 41 492 55 55 Fax +41 41 492 56 39 www.geistlich-biomaterials.ch Más información a través de nuestros distribuidores: www.geistlich-pharma.com 602112/2102/en

Turn static files into dynamic content formats.

Create a flipbook
Issuu converts static files into: digital portfolios, online yearbooks, online catalogs, digital photo albums and more. Sign up and create your flipbook.