Geistlich NEWS - VOLUMEN 15, NÚMERO 1, 2020

Page 1

VOLUMEN 15, NÚMERO 1, 2020

TEMA CENTRAL PÁGINA 10

Prevención mediante regeneración.

¿Hay formas inteligentes que permitan evitar los daños previsibles y ahorrar tiempo de cirugía?

AMPLITUD DE MIRAS PÁGINA 24

Terapia de modificación del fenotipo.

Este nuevo enfoque se discutió en un Best Evidence Consensus. ¿Qué es lo que defiende?

AMPLITUD DE MIRAS PÁGINA 34 Obtenido del paladar.

En nuestro cómic mostramos cómo tratar las recesiones de un modo mínimamente invasivo: la técnica VISTA-X.

GEISTLICH BIOMATERIALS
Fotografía: ©gettyimages.ch / Westend61

LEADING REGENERATION.

100 GEISTLICH NEWS 1-2020

Una intervención temprana es preferible al rescate

«¿No tendría más sentido ayudar al paciente antes de que surjan los problemas?» Esta idea es la que defienden el Prof. Kenneth Kornman y el Dr. Richard Kao, quienes describen las ventajas de la llamada Phenotype Modification Therapy (terapia de modificación del fenotipo, PhMT por sus siglas en inglés) en nuestra entrevista. Esta pregunta ilustra perfectamente el tema central de este número de Geistlich News: ¡los tratamientos regeneradores que son preventivos, no correctores!

A través de un gran número de contribuciones y entrevistas con expertos, en este número de Geistlich News encontrará una versión resumida de aspectos particularmente interesantes y relevantes de la medicina preventiva.

EL Prof. Jan Cosyn (BEL), el Dr. Jun-Yu Shi (CHN) y el Dr. HongChang Lai (CHN) presentan los últimos datos científicos y hablan de su experiencia clínica personal en la colocación de implantes inmediatos. Esta técnica está adquiriendo una relevancia cada vez mayor a nivel internacional. Aunque también entraña algunos riesgos, que se pueden atenuar rellenando el «espacio» vestibular con Geistlich Bio-Oss®/Geistlich Bio-Oss® Collagen y Geistlich Bio-Gide®. Así, es posible mejorar el bienestar del paciente de manera eficaz inspirándonos en la «prevención mediante regeneración».

El Prof. Jeong Hye Kim (KOR) y el Dr. Alfonso Rao (UK) nos informan sobre los estudios y nos cuentan su experiencia clínica en la regeneración de los tejidos blandos. Geistlich Mucograft® y Geistlich Fibro Gide® contribuyen de manera significativa a mejorar el éxito clínico; unas contribuciones imprescindibles de recomendada lectura.

El Dr. Hector Rios (EE. UU.), un experto en periodoncia que contempla el tratamiento ortodóncico como un campo interdisciplinario, arroja luz sobre un aspecto diferente al que se debería prestar atención en el futuro. A través de su entrevista nos explica de una manera breve y concisa los retos de este tipo de tratamiento, y cómo los materiales pueden ayudar a mejorar los resultados.

Todo esto y mucho más es lo que encontrará en la temática sumamente variada de este nuevo número de Geistlich News. ¡Esperamos que la lectura le resulte muy interesante!

3
Fotografía: Roger Schuler
Editorial

NOVEDADES

6 Inversión de varias decenas de millones: preparados para el futuro

6 Osteo Science Foundation: adquiriendo presencia global

7 ¡Síganos!

8 Un proceso lento

8 Nuevo diseño: calidad asegurada

9 Los últimos estudios sobre las estrategias preventivas

Prevención mediante regeneración

La odontología regenerativa incluye varias medidas correctoras, como la reconstrucción del hueso perdido y del volumen del tejido. ¿Y si actuamos antes de que se pierda el tejido?

11 «Yo siempre rellenaría el espacio».

Prof. Dr. Jan Cosyn | Bélgica

14 Manejo de los tejidos blandos para prevenir las complicaciones

Prof. Jeong Hye Kim | Corea

16 Una cirugía, incluso en los defectos de mayores dimensiones

Dr. Alfonso Rao | Reino Unido

18 «Los periodoncistas y los ortodoncistas deberían desarrollar juntos estrategias de protección»

Prof. Dr. Hector Rios | EE.UU.

21 Evitar la reabsorción del hueso alveolar: posibilidades y limitaciones

Drs. Jun-Yu Shi y Hong-Chang Lai | China

4 GEISTLICH NEWS 1-2020 Número 1 | 2020
CENTRAL
TEMA
10

AMPLITUD DE MIRAS

24 «Se trata de ayudar a los pacientes antes de que surjan los problemas»

Entrevista con el Prof. Kenneth Kornman y el Dr. Richard Kao

28 Cinco preguntas para cinco expertos

30 Yxoss CBR®: una mirada más de cerca a la formación ósea

Prof. Claudia Dellavia | Italia

Problemas

Dra. Ulrike Schulze-Späte |

OSTEOLOGY FOUNDATION

Revista para clientes y amigos de Geistlich Biomaterials

Número 1/2020, volumen 15

Editorial

©2019 Geistlich Pharma AG

Business Unit Biomaterials Bahnhofstr. 40

6110 Wolhusen, Suiza

Tel. +41 41 492 55 55

Fax +41 41 492 56 39 biomaterials@geistlich.ch

Editor

Dra. Giulia Cerino, Verena Vermeulen Maquetación

Larissa Achermann

Frecuencia de la publicación

2 veces al año

Tirada

20.000 ejemplares en varios idiomas en todo el mundo

El contenido de GEISTLICH NEWS se redacta con la máxima atención. Sin embargo, el contenido creado por terceros no refleja necesariamente la opinión de Geistlich Pharma AG. En este sentido, Geistlich Pharma AG, no garantiza la exactitud, integridad ni actualidad del contenido proporcionado por terceros, ni asume la responsabilidad por daños de naturaleza material o no material en los que se incurra por usar la información de terceros o por el uso de información errónea o incompleta de terceros, a menos que se demuestre intención dolosa o negligencia grave por parte de Geistlich Pharma AG.

5
IMPRESIÓN
de cicatrización en la diabetes.
del paladar
31 ¿Un nuevo comienzo en la cicatrización de las heridas?
34 Obtenido
Alemania
36 «Una experiencia transformadora» ENTREVISTA 38 Una charla con Susana Noronha 39 Información editorial

Inversión de varias decenas de millones: preparados para el futuro

Lugar: Wolhusen, Suiza

Para responder al incremento de la demanda, Geistlich Pharma AG ha decidido aumentar su capacidad de producción. El 30 de agosto de 2019, ante la presencia de un gran número de invitados, directivos de la empresa y dirigentes municipales, inauguramos el edificio 888 después de dos años de construcción y de invertir varias decenas de millones.

Planificación y construcción: desde octubre de 2016 hasta mayo de 2019

Área operativa de la sala blanca: 1.310m2

Osteo Science Foundation: adquiriendo presencia global

La Osteo Science Foundation fue creada en 2013 por el Dr. Peter Geistlich y Geistlich Pharma para promover la regeneración de los tejidos duros y blandos en la cirugía oral y craneomaxilofacial en Norteamérica.

A partir de 2020, la fundación se irá expandiendo para alcanzar a una audiencia internacional. Las primeras iniciativas globales llevarán los programas educativos dedicados a la regeneración a organizaciones orales y craneomaxilofaciales afines.

6 GEISTLICH NEWS 1-2020
El presidente del consejo Dr. Andreas Geistlich, la concejala municipal Rita Brunner-Lipp, Wolhusen, y el gestor de proyecto Thomas Waldleben en la inauguración (de izquierda a derecha) Fotografía: Roger Schuler

¡SÍGANOS EN NUESTROS CANALES GEISTLICH! Sitio web

Cada filial mantiene su propio sitio web, incluida la información sobre los productos y tratamientos, además de la oferta educativa y las últimas novedades.

www.geistlich-pharma.com

Redes sociales

Todo lo que necesita saber sobre productos, tratamientos, seminarios web, eventos, estudios, trabajos, mejores prácticas y transmisión en directo de congresos: síganos en nuestros canales de las redes sociales.

Geistlich Pharma AG

@geistlichpharma

@geistlichpharma

Geistlich Pharma

BioBrief

Blog

¿Quiere sumergirse en el mundo de la regeneración oral? Encuentre los últimos estudios, las entrevistas con expertos y los casos en:

www.regeneration-expert.com

Aquí puede encontrar los casos, incluidos vídeos de cirugías, de dentistas expertos. www.geistlich-biobrief.com

Tour Mundial de Seminarios Web

Geistlich Biomaterials ofrece seminarios web gratuitos impartidos por expertos reconocidos de todo el mundo. Vea los seminarios web que se haya perdido o regístrese para seminarios futuros.

www.geistlich-pharma.com/webinar

Tienda web

Solicite sus productos Geistlich en línea. (La disponibilidad de la tienda web puede variar de un país a otro)

7 NOVEDADES
Ilustración:
Geistlich Pharma

> Verde: citoesqueleto teñido con Actin

> Rojo: marcador de osteoclastos TRAP

> Azul claro: núcleos teñidos con DAPI Actifuse®®

Un proceso lento

El contacto estrecho con un sustituto óseo puede provocar que los monocitos se diferencien en osteoclastos. Esto hace que el biomaterial sobre el que crecen se reabsorba.

Esta serie de imágenes obtenidas mediante tinción por fluorescencia muestra que los osteocitos apenas se

transformaron en osteoclastos tras crecer durante dos semanas sobre Geistlich Bio-Oss ®, a pesar de que se daban las condiciones perfectas para la diferenciación, p. ej., con factores de crecimiento.

Por el contrario, los dos sustitutos óseos sintéticos Actifuse ® y Master -

Nuevo diseño: calidad asegurada

¿Ha notado el cambio? Desde comienzos de 2020, cada grupo de productos de la línea de productos Geistlich tiene su propio envase con un código de color único, para que a usted le resulte más fácil localizar el producto que necesita en la estantería.

La calidad del contenido sigue siendo la misma. Cada 15 segundos se utiliza un producto Geistlich en algún lugar del mundo.1

Bibliografía

1 Data on file. Geistlich Pharma AG.

graft® sí desencadenaron la formación de osteoclastos. Esto coincide con la observación clínica de que Geistlich Bio - Oss ® se degrada muy lentamente. Por tanto, actúa como un andamio durante un periodo de tiempo prolongado y el volumen aumentado se conserva a largo plazo. UN

8 GEISTLICH NEWS 1-2020
ICONO para un producto
SUSTITUTO ÓSEO MATRIZ MEMBRANA COMBI
UN COLOR para una familia de productos
Geistlich Bio-Oss® (sustituto óseo xenógeno) (hidroxiapatita) Mastergraft® (composite de hidroxiapatita y β-TCP) Fotografías: Geistlich Pharma AG

¿Puede la preservación de la cresta evitar la elevación del seno?

Esta pregunta se ha investigado en un estudio clínico aleatorizado prospectivo.1 Los autores hallaron que sin la preservación de cresta, el 100 % de los pacientes necesitaron elevación de seno (72 % con abordaje transcrestal y 28 % lateral). Con la preservación de la cresta, se trató al 43 % de los pacientes con implantes sin elevación del seno, y solo el 7 % requirió un abordaje lateral.

¿Puede el ensanchamiento del tejido queratinizado evitar las complicaciones?

ÚLTIMOS ESTUDIOS sobre las estrategias de prevención

¿Puede el engrosamiento del tejido blando evitar la pérdida de hueso?

Esta pregunta se ha investigado en un estudio clínico prospectivo.3 En él, los autores concluyen que el engrosamiento de los tejidos finos con una membrana alógena «reduce la pérdida del hueso crestal desde 1,81 mm hasta 0,34 mm después de un seguimiento de 1 año».

Bibliografía

Los autores de una revisión sistemática y un metaanálisis2 intentaron responder a esta pregunta. A partir de las publicaciones concluyeron que la creación de más tejido queratinizado mediante cirugía supuso una importante reducción del sangrado al sondaje (inflamación gingival), de la profundidad del sondaje y del índice de placa, además de niveles de hueso marginal mayores.

¿Puede el tratamiento ortodóncico asistido por corticotomías (CAOT) con aumento simultáneo del hueso prevenir las dehiscencias?

Para contestar a esta pregunta se realizó una revisión sistemática4 La conclusión de los autores fue que «el tratamiento ortodóncico asistido por corticotomías con [injerto óseo] pudo limitar la remodelación del hueso crestal, o lograr unas mayores dimensiones del tejido duro en comparación con los grupos no [injertados]. Estos resultados avalaban la eficacia de la terapia de [modificación del fenotipo] antes o durante el tratamiento ortodóncico (...), limitando y reduciendo las dehiscencias.”

1 Cha, JK, et al.: Clin Oral Implants Res. 2019; 30(6): 515-23. (40 consecutive patients, Spontaneous healing vs Ridge Preservation with Geistlich Bio-Oss® Collagen and Geistlich Bio-Gide® (20 patients each))

2 Thoma DS, et al.: Clin Oral Impl Res 2018; 29(Suppl. 15):32–49. (10 studies included)

3 Linkevicius T, et al.: Clin Implant Dent Rel Res 2015; 17( 3) : 497-508. (103 patients, 3 groups including patients with 1) naturally thin tissue that had not been thickened, 2) thin tissue that had been surgically thickened, 3) naturally thick tissue (34 - 35 - 34 patients)).

4 Wang CW, et al.: doi: 10.1002/JPER.19-0037. (8 studies included)

NOVEDADES
Imágenes: Geistlich Pharma

Prevención mediante regeneración

La odontología regenerativa incluye varias medidas correctoras, como la reconstrucción del hueso perdido y del volumen del tejido. ¿Y si actuamos antes de que se pierda el tejido? Aquí encontrará las diferentes soluciones posibles para evitar que los pacientes tengan que someterse a tratamientos invasivos y para ahorrar tiempo de cirugía.

10 GEISTLICH NEWS 1-2020
TEMA CENTRAL Ilustración: Quiant

Colocación de implantes inmediatos

siempre rellenaría el espacio».

El Prof. Jan Cosyn, Universidad de Gante, tiene mucha experiencia en el controvertido ámbito del momento de la colocación de los implantes. Le pedimos que arrojara un poco de luz sobre esta cuestión. Colocación de un implante inmediato: ¿cuándo está indicado injertar tejido duro y blando?

La colocación de un implante inmediato es un tratamiento atractivo para los pacientes. ¿Dónde ve las mayores ventajas?

Prof. Cosyn: El ahorro de tiempo es la principal. Primero, desde la perspectiva del paciente, porque acude a la consulta con un problema urgente y la sustitución del diente se realiza en un día: el implante y la corona provisional. Segundo, el dentista solo realiza una intervención quirúrgica y una protésica. Esto es una auténtica optimización del tiempo.

¿Observa una tendencia global hacia la colocación de implantes inmediatos?

Prof. Cosyn: Sí, la tendencia está en aumento en todo el mundo. Cada vez más dentistas colocan implantes inmediatos porque se sabe más sobre el concepto terapéutico, y porque conocen las dificultades. No obstante, esto no significa que se tengan siempre en cuenta los riesgos de la colocación de implantes inmediatos. Lo que más me preocupa es que el tratamiento también está experimentando un crecimiento entre los profesionales sin experiencia.

Hace poco publicó una revisión sistemática donde demostraba que la colocación de un implante inmediato tiene un mayor riesgo de pérdida temprana que cuando se coloca un implante diferido.1 ¿Cuáles son los motivos?

Prof. Cosyn: Hicimos varios análisis de subgrupos sobre los datos, porque todo el estudio se componía de ocho estudios clínicos comparativos distintos. Gracias a él, ahora sabemos que el uso de antibióticos tras la operación tiene un impacto importante sobre el éxito inicial

de los implantes. La no prescripción de estos medicamentos cuando se colocan implantes inmediatos supone un 7 % más de riesgo de fracaso (fig. 1)

¿No se recomienda de manera generalizada prescribir antibióticos después del tratamiento?

Prof. Cosyn: No, la prescripción de antibióticos no es una recomendación generalizada en ningún procedimiento de colocación de implantes. Esta medida no está demostrada, o no hay datos fidedignos que la confirmen. El número de pacientes que se debería tratar es demasiado alto para que resulte de utilidad en la colocación de un implante estándar, pero este no es el caso cuando hablamos de implantes inmediatos. No es posible generalizar para todos los procedimientos, pero en la colocación de un implante de tipo I debería considerarse el uso de antibióticos, y este resultado coincide también con la revisión sistemática que Lang y cols. publicaron en 2012.2

¿Piensa que los tejidos duros y blandos en el contexto de la colocación de un implante inmediato, es decir, «rellenar el espacio», podría hacer que esta técnica fuera más predecible?

Prof. Cosyn: Sinceramente, sí. Hace diez años se debatió acerca de la necesidad de injertar el alvéolo después de la colocación de un implante inmediato. Ahora tenemos tres estudios clínicos aleatorizados controlados,3-5 y el último, de Sanz y cols.5, muestra claramente una diferen-

11 TEMA CENTRAL
«El uso de antibióticos tras la operación tiene un impacto importante sobre el fracaso precoz de los implantes».
«Yo
Oral Health Sciences Departamento de Periodoncia e Implantología Oral, Universidad de Gante Entrevista realizada por la Dra. Giulia Cerino

En los pacientes que necesitan un único implante, ¿implica la colocación de un implante inmediato una tasa de supervivencia diferente a la del implante retardado?

maño del espacio. El efecto proporcional es el mismo en los huecos grandes y pequeños. Por tanto, la recomendación clínica es rellenar el espacio siempre.

233/473

Colocación de un implante diferido ≥ 3 meses después de la extracción 240/473

94,9 % 98,9 %

Supervivencia del implante

Colocación de un implante inmediato ≤ 24h después de la extracción + 7 %

Supervivencia del implante

¿Y cómo rellena el espacio?

Prof. Cosyn: Añado mineral óseo bovino y compacto suavemente el biomaterial hacia apical usando un atacador fino. Se debe evitar siempre comprimir en exceso. (Fig. 2)

¿Cuándo está indicado el injerto de tejido blando en la colocación de un implante inmediato?

Riesgo de fracaso sin tratamiento antibiótico

cia estadísticamente significativa a favor del injerto del alvéolo frente a la ausencia de injerto. Así que para mantener la integridad de la pared ósea vestibular es imprescindible injertar.

No obstante, también sabemos que es posible que este injerto no sea suficientemente bueno, porque solo reduce la reabsorción del hueso vestibular, no la elimina. Diferentes series de casos de distintos grupos de investigación demuestran que la recesión mesofacial avanzada se produce en aproximadamente el 20 % de los casos, una cifra muy alta a pesar del injerto del alveolo y

de un diagnóstico correcto. Por tanto, en la mayoría de los casos, esta necesidad de compensar abre la indicación para el injerto de tejido blando.

¿Cuáles son las situaciones en las que usted recomendaría incluir un tratamiento regenerador como parte del tratamiento general?

Prof. Cosyn: En el caso anterior especialmente. Creo que ya no hay ni una sola situación en la que no injertaría el alveolo. Curiosamente, Sanz y cols.5 demostraron por primera vez que el efecto adicional del injerto del alveolo no depende del ta-

Prof. Cosyn: Yo diría que con frecuencia. Pero, empecemos con el peor de los escenarios; situaciones en las que no hay hueso vestibular. Si nos encontramos ante una situación así alrededor del diente, sabemos que los procedimientos para el cubrimiento radicular son predecibles, pero solo si el grosor gingival es como mínimo de 1,5 mm. En un caso con implantes, el grosor debe ser superior a los 2 mm por el simple hecho de que no hay fibras de colágeno supracrestales. Aquí no hay datos, solo sentido común. Dado que solo en el 10 % de los casos hay presente un grosor de tejido blando de 2 mm, si partimos del peor de los escenarios, en el 90 % de los casos se necesita el injerto óseo para conseguir unos resultados predecibles.

Para entender bien este punto: ¿la presencia de una dehiscencia ósea hace aún más importante el aumento del tejido blando?

Prof. Cosyn: El injerto del tejido blando está indicado prácticamente siempre para lograr un resultado óptimo y estable. Y, en mi opinión, si hay una dehiscencia ósea es aún más importante.

¿Cuál cree que es la cantidad mínima de hueso vestibular necesaria para colocar de manera predecible un implante inmediato?

12 GEISTLICH NEWS 1-2020
FIG. 1: Resumen de la revisión sistemática y del metaanálisis publicado por Cosyn y cols.1

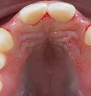
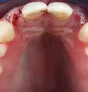
FIG. 2: Una paciente de 58 años de edad acudió a la consulta con un incisivo superior lateral fracturado. Como la pared ósea vestibular estaba intacta había hueso en apical y palatino respecto al alveolo de extracción, se planificó la colocación de un implante tipo I.

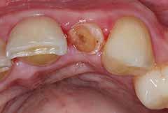
| A Vista preoperatoria oclusal del diente 22, que debe reemplazarse por un implante. | B Vista oclusal después de la extracción y la colocación de un implante inmediato en una posición palatina. Obsérvese que el hueco óseo se rellenó con mineral óseo bovino desproteinizado (Geistlich Bio-Oss® partículas). | C Se introdujo un injerto de tejido conectivo fino obtenido del paladar en la bolsa vestibular, y se aseguró con material de sutura monofilamento. | D Vista oclusal dos días después de la cirugía, tras colocar la corona provisional.

Prof. Cosyn: Yo solo coloco implantes inmediatos cuando la pared de hueso vestibular está intacta. Hay algunos datos que corroboran este concepto en el caso de dehiscencias óseas pequeñas, pero no se dispone de estudios clínicos controlados aleatorizados ni de estudios a largo plazo en los que falte más del 50 % de la pared ósea vestibular. Teniendo en cuenta los conocimientos actuales, no creo que la colocación de un implante inmediato sea posible si las paredes óseas vestibulares están afectadas.

ce la recesión mesofacial, como demuestra el estudio clínico controlado aleatorizado del grupo de Groningen.6 Lo que puedo decir de un seguimiento prospectivo de diez años de implantes individuales inmediatos en situaciones ideales en Gante, es que los tejidos blandos son más estables cuando se han injertado. Desde mi punto de vista, lo importante es la estabilidad del tejido a largo plazo. Pero es evidente que el conocimiento actual sobre ello es escaso.

Prof. Cosyn: Sí, estas opciones pueden ayudar. Mi recomendación es hacer un CBCT antes de extraer el diente o de colocar un implante inmediato, para hacer un diagnóstico adecuado y evaluar los riesgos. Es la única forma de visualizar la pared ósea vestibular, su grosor y morfología, y el grosor del tejido blando, si se usan separadores labiales. La cirugía guiada también es importante, porque en la colocación de un implante de tipo I un error crítico es una ubicación demasiado vestibular. Esto es fácil que suceda si el cirujano no tiene mucha experiencia, y ningún ITC puede tratar la recesión mesofacial resultante. Así que, para evitar esta posibilidad, la cirugía guiada resulta ventajosa, especialmente si el dentista no es muy experimentado.

¿Pueden los implantes cortos y estrechos evitar los procedimientos regeneradores?

Prof. Cosyn: No, no lo creo. Los implantes cortos son difíciles de usar en un alveolo, porque se necesita un anclaje óseo adecuado. Normalmente usamos implantes más largos; para este enfoque de tratamiento solemos usar implantes de 11 a 13 mm. Es más importante usar diámetros pequeños, 3,5-3,6 mm, incluso en la posición de los incisivos centrales, para mantenernos alejados del área vestibular. Y sin olvidar injertar siempre el espacio.

Bibliografía

1 Cosyn J, et al.: J Clin Periodontol. 2019;46 Suppl 21:224-241 (Systematic review and meta-analysis).

Prof. Cosyn: En mi opinión, sí. A corto plazo, el injerto de tejido blando redu-

¿Conoce alguna técnica, como la impresión 3D, la cirugía guiada o los nuevos diseños de implantes, que haga la colocación de implantes inmediatos más predecible, también para los cirujanos con menos experiencia?

2 Lang NP, et al.: Clin Oral Implants Res. 2012;23 Suppl 5:39-66 (Clinical study).

3 Sanz M, et al.: Clin Oral Implants Res. 2017;28(8):902-910 (Clinical study).

4 Chen ST, et al.: Clin Oral Implants Res. 2007;18(5):552-62 (Clinical study).

5 Mastrangelo F, et al.: Implant Dent. 2018;27(6):638-645 (Clinical study).

6 Zuiderveld EG, et al.: J Periodontol. 2018;89(8):903-914. (Clinical study).

13 TEMA CENTRAL
¿Es posible que sea necesario engrosar el tejido blando aunque la pared ósea vestibular esté intacta cuando el grosor gingival es inferior a 2 mm?
A B C D
Fotografías: Prof. Dr. Jan Cosyn

Manejo de los tejidos blandos para prevenir las complicaciones

La colocación de implantes unitarios en alveolos postextracción en la zona estética es una indicación frecuente. La colocación de un implante inmediato tiene claras ventajas, pero es fundamental tener en cuenta los riesgos.

Los análisis clínicos y radiográficos previos a la intervención y la evaluación del perfil de riesgo del paciente son pasos clave para elegir entre un implante inmediato, temprano o tardío.1

La colocación de un implante inmediato es una opción atractiva, porque evita los seis meses o más del periodo de cicatrización. No obstante, los riesgos quirúrgicos son altos y las exigencias estéticas, mayores; la colocación de un implante de este tipo en la zona estética es una intervención compleja y difícil.

¿Es la colocación de un implante inmediato un procedimiento

arriesgado?

La colocación de un implante inmediato en un alveolo de extracción fresco está considerada como una intervención quirúrgica compleja. La preparación del lecho del implante en la anatomía inclinada del hueso palatino es difícil, porque la posición de la fresa es inestable y la visibilidad, escasa. Igualmente, una per-

foración apical no intencionada del hueso vestibular, si durante la preparación se usa un eje incorrecto, puede suponer un riesgo. Además, una posición vestibular incorrecta suele ser un error común, y puede suponer entre un 20-30 % de riesgo de recesión mucosa superior a 1 mm según varios estudios.2-6

¿Cuándo está indicada la colocación de un implante inmediato?

El implante inmediato puede usarse en las siguientes situaciones clínicas:7

> Una pared ósea vestibular intacta (grosor >1 mm) en el lugar de la extracción.

> Un biotipo gingival grueso.

> No hay infección aguda en el lugar de la extracción.

> El volumen óseo en apical y palatino en el lugar de la extracción es suficiente para permitir la inserción del implante en la posición tridimensional correcta, con suficiente estabilidad primaria.

¿Cuáles son los riesgos y los beneficios?

En situaciones clínicas reales, las condiciones ideales para la colocación de un implante inmediato raramente se encuentran en el maxilar anterior, donde, según varios estudios, no suele darse un fenotipo de pared grueso.8,9 Igualmente, el grosor del tejido blando vestibular también es fino.10 Además, la pared ósea vestibular a menudo presenta daños por patologías asociadas a fracturas radiculares verticales y complicaciones endodóncicas. La colocación del implante inmediato

está relacionada con una mayor frecuencia de recesiones mucosas de >1 mm, mesofacialmente (mediana 26 % de los sitios), cuando se compara con la colocación del implante temprano.11 Cuando se comparan con los biotipos gruesos, los sitios con un biotipo de tejido fino tienen mayor riesgo de presentar recesiones tisulares marginales, especialmente si los implantes están colocados vestibularmente (85,7 % para el biotipo fino frente al 66,7 % para el biotipo grueso).4

¿Cuáles son los beneficios?

Reduce la morbilidad de los pacientes y el número de intervenciones quirúrgicas. En general, el periodo del tratamiento se puede acortar.

¿Cuál es el efecto del manejo de los tejidos blandos?

El objetivo principal del tratamiento con implantes en la zona estética es un resultado óptimo con una alta previsibilidad y un riesgo bajo de complicaciones.12

La estabilidad de los tejidos vestibulares duros y blandos es fundamental para lograr un resultado estético positivo duradero. Thoma y cols. publicaron los efectos de los procedimientos de aumento de los tejidos blandos sobre la salud o la enfermedad alrededor del implante13, y concluyeron que el injerto de tejido blando se traduce en una salud más favorable alrededor del implante y en el aumento de:

> La mucosa queratinizada usando injertos autólogos, con una mayor mejoría de los índices de sangrado y unos nive-

14 GEISTLICH NEWS 1-2020
Colocación de implantes inmediatos
Prof. Jeong Hye Kim | Corea Departamento de Periodoncia Samsung Medical Center, Seúl

FIG. 1: Colocación de un implante inmediato en combinación con un procedimiento de aumento del tejido blando

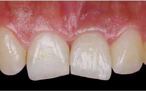
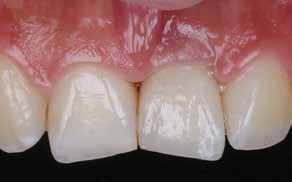
| A Situación clínica preoperatoria. | B El CBCT muestra una tabla ósea vestibular fina, una lesión periapical y caries secundaria. | C El injerto de tejido conectivo se tomó del paladar y se suturó con hilo de sutura Vicryl 6-0 | D Restauración provisional realizada 2 meses después de la cicatrización. La encía alrededor del incisivo lateral derecho superior estaba engrosada. | E Situación clínica después de 7,5 años.

les óseos marginales más altos. > El grosor de la mucosa con injertos autólogos con una pérdida de hueso marginal significativamente inferior.

En los sitios estéticamente difíciles, la conversión del biotipo gingival vestibular mediante injerto de tejido conectivo subepitelial en el momento de la colocación del implante ha demostrado tener éxito en la conservación de los niveles de tejido blando, porque hace que el tejido gingival sea más resistente a la recesión. 4,14,15 Se observaron resultados más estables cuando en el tratamiento se combinó la extracción sin colgajo y la colocación del implante con el injerto óseo, el injerto de tejido conectivo y la colocación de una corona provisional inmediata.14-16 Además de una tasa de éxito del implante y de una respuesta del tejido periimplantario favorable, el nivel de la encía vestibular alrededor de los implantes inmediatos individuales también puede mantenerse después del injerto de tejido conectivo cuando la posición 3D del implante es correcta, y se ha injertado hueso en el hueco entre el implante y el alveolo.17

El caso clínico de la figura 1 muestra a una paciente remitida a nuestra consulta para la sustitución del incisivo lateral superior derecho. El diente estaba endodóncicamente tratado, pero había desarrollado una lesión periapical y caries secundaria. Extrajimos el diente porque no era posible la restauración, y colocamos un implante inmediato. La evaluación 3D mediante CBCT mostró una tabla ósea vestibular muy fina, la lesión periapical y caries secundaria. El fenotipo del tejido gingival también era fino. El plan era aumentar el tejido blando antes de la extracción para tener una altura del margen gingival y un grosor del tejido predecibles. Colocamos el implante inmediato después de extraer el incisivo lateral derecho superior, rellenamos el hueco entre el implante y la pared ósea vestibular con Geistlich Bio-Oss® y lo cubrimos con Geistlich Bio-Gide®. Dado que el margen gingival del anterior superior izquierdo había retrocedido y no coincidía con los dientes contralaterales, injertamos tejido conectivo para mejorar la estética. Este enfoque terapéutico ha tenido éxito en el largo plazo; el margen gingival alrededor del implante y en los dientes contralaterales se ha conservado bien sin recesión gingival, excepto el canino izquierdo, durante unos siete años y medio.

Bibliografía

1 Hammerle CH, et al.: Int J Oral maxillofac Implants 2004;19 (suppl):26-28. (Consensus statement)

2 Chen ST, et al.: Clin Oral Implants Res 2007;18(5):552-562. (Clinical study)

3 De Rouck T, et al.: J Clin Periodontol 2008;35(7):649-657. (Clinical study)

4 Evans CD, Chen ST: Clin Oral Implants Res 2008:19(1):73-80. (Review)

5 Kan JY, et al.: J Oral Maxillofac Implants 2011;26(1):179-187. (Clinical study)

6 Lindeboom JA, et al.: Oral Surg Oral Med Oral Pathol Oral Radiol Endod 2006;101(6):705-710. (Clinical study)

7 Buser D, et al.: Periodontol 2000, 2017;73(1):84-102 (Review)

8 Braut V, et al.: Int J Periodontics Restorative Dent 2011;31(2):125-31. (Clinical study)

9 Januario AL, et al.: Clin Oral Implants Res 2011;22(10):1168-1171. (Clinical study)

10 Chen ST, Darby I: Clin Oral Implants Res 2017;28(8):931-937. (Clinical study)

11 Chen ST, Buser D: Int J Oral Maxillofac Implants 2014;29 (Suppl):186-215. (Systematic review)

12 Buser D, Chen ST: Chicago: Quintessence Publishing Co., Inc., 2009:153-194. (Book chapter)

13 Thoma D, et al.: Clinical oral Implants Research 2018;29 (Suppl)15:32-49. (Systematic review and meta-analysis)

14 Chung S, et al.: J Oral Implantol 2011;37(5):559-569. (Clinical study)

15 Bianchi AE, Sanfilippo F: Clin Oral Implants Res 2004;15(3):269–277. (Clinical study)

16 Kan JY, et al.: J Oral Maxillofac Surg 2009; 67(11 Suppl):40–48. (Clinical study)

17 Tsuda H, et al.: Int J Oral Maxillofac Implants 2011;26(2):427–436. (Clinical study)

15
Consejos y trucos durante el procedimiento, resultados y recomendaciones
A B C D E
Fotografías: Prof. Jeong Hye Kim

Manejo del tejido blando para aumentos óseos de grandes dimensiones

Una cirugía, incluso en los defectos de mayores dimensiones

La estabilidad de los tejidos duros y blandos desempeña una función clave en el éxito de la rehabilitación oral; tanto funcional como estética. Esto hace que lograr unos resultados óptimos suponga un desafío y, por ello, se tengan más en cuenta todos los factores contribuyentes.1,2

El hundimiento de la cresta alveolar en una zona edéntula de pacientes que se van a someter a una rehabilitación oral dificulta una relación armoniosa entre el póntico y la cresta. Para corregir este tipo

de defecto hay varias técnicas quirúrgicas para conseguir el aumento del tejido blando, lo que permite modelar un perfil perfecto para usar un póntico.3

La importancia del aumento del tejido blando

La evidencia clínica muestra que los aumentos de tejido blando contribuyen a más del 40 % del volumen final de tejido blando en la posición de los implantes,4 lo que se traduce en una mejor estética,5 unas puntuaciones para las papilas más altas6, 7 y menos recesión de la mucosa.6-8 Además, el grosor inicial del tejido gingival en la cresta es importante para la estabilidad ósea marginal alrededor de los implantes. Linkevicius y cols. fueron capaces de demostrar que si el grosor tisular es inferior a 2 mm, puede producir-

se una pérdida de hueso crestal de hasta 1,45 mm, a pesar de que la superficie de contacto entre el implante y el pilar se encuentre en una posición supracrestal.9

Estrategias para el aumento del tejido blando

Los procedimientos de cirugía plástica periodontal o periimplantaria han tenido éxito en la restauración de la forma y las dimensiones de los tejidos alveolares blandos y duros antes, durante o después de la colocación de los implantes. Estas técnicas incluyen el aumento de la cresta con tejido blando, donde los injertos de tejido conectivo subepitelial autólogo están considerados como el método de referencia.10, 11

No obstante, el uso de tejidos autólogos tiene desventajas asociadas. Habitual-

16 GEISTLICH NEWS 1-2020
A B C D E
Dr. Alfonso Rao | Reino Unido Consulta privada, Bristol Delta Dental Academy, Bristol | A Situación preoperatoria antes de retirar el puente adhesivo antiguo. | B Después de la elevación de un colgajo de espesor parcial, Geistlich FibroGide® se introduce en la zona receptora usando una técnica de bolsa. | C Cierre primario del colgajo sin exposición de la matriz. | D, E Situación clínica 3 meses después de la colocación del puente. Restauración realizada por el Dr. Richard Field, técnico dental: Stephen Lusty. FIG. 1: Aumento del tejido blando con Geistlich Fibro-Gide® en un paciente con agenesia del incisivo lateral superior. Fotografías: Dr. Alfonso Rao

mente, la cantidad y la calidad del tejido que se puede obtener varían según la forma de la bóveda palatina y del sexo y la edad del paciente,12 y también de factores anatómicos, como una apófisis o porción alveolar gruesa, exostosis y los nervios palatinos y los vasos sanguíneos.14 Además, como la extracción del tejido implica una cicatrización prolongada de la zona donante, los pacientes suelen quejarse del dolor y el entumecimiento durante varias semanas después de la cirugía.14, 15 Por eso, para reducir la morbilidad y superar las desventajas de los injertos autólogos, los sustitutos de los tejidos blandos representan una gran ventaja, especialmente porque permiten tratar áreas más grandes en una sola intervención.16-18

Nuestra experiencia alternativa

En estudios clínicos recientes que comparaban una matriz de colágeno xenógena y dimensionalmente estable (Geistlich Fibro-Gide®) con injertos de tejido conectivo autólogo en la posición de los implantes, la matriz no mostraba diferencias significativas al cabo de un año de seguimiento en cuanto a la calidad y la cantidad de tejido blando aumentado estable. Además, no fue necesario un segundo acto quirúrgico, y los pacientes se beneficiaron de una menor percepción del dolor.7,11,19 De manera similar, en las zonas estéticas, Chappuis y cols. demostraron que el uso de la matriz para el aumento del tejido blando con regeneración ósea guiada y la colocación del implante es un procedimiento seguro y factible.20 En nuestra consulta hemos usado Geistlich Fibro-Gide® para tratar defectos de la cresta de leves a moderados, en los que el aumento del tejido blando suele ser suficiente para reparar la deformidad. El objetivo del caso clínico en la figura 1 era aumentar el grosor del tejido blando en el lugar del póntico. La matriz se fijó en la zona deseada y ayudó a conseguir un resultado óptimo. A pesar de que siguen siendo necesarios estudios a

largo plazo, la menor morbilidad, la cantidad ilimitada y la calidad normalizada hacen que Geistlich Fibro-Gide® sea una buena opción, y abre la puerta para aquellos pacientes que tienen miedo a las técnicas para la extracción del injerto autólogo, o que no presentan la cantidad o la calidad necesarias para obtener el injerto. Así que ahora hay disponible una alternativa valiosa al injerto de tejido conectivo, que facilita la vida al cirujano.

Bibliografía

1 D'Addona A, et al.: Int J Biomater. 2012; 531202. (Review)

2 Maiorana C, et al.: Case Rep Dent. 2016; 8468763. (Clinical study)

3 Zuniga Araya ME, et al.: Open Journal of Stomatology. 2018; 8(6):189-19. (Clinical study)

4 Schneider D et al.: Clin Oral Implants Res. 2011; 22(1):28-37. (Clinical study)

5 Thoma DS, et al.: Clin Oral Implants Res. 2018; 29 Suppl 15:32-49. (Systematic review and meta-analysis)

6 Thoma DS, et al.: J Clin Periodontol 2017; 44: 185194. (Pre-clinical study)

7 Thoma DS, et al.: J Clin Periodontol 2016; 43(10):874-85. (Clinical study)

8 Moraschini V, et al.: Acta Odontol Scand. 2019;77(6):457-467. (Review)

9 Linkevicius T, et al.: Clin Implant Dent Relat Res. 2015; 17(6):1228-36. (Clinical study)

10 Nascimiento de Melo LG, et al.: Perio. 2006; 3(1) :49-56. (Clinical study)

11 Zeltner M, et al.: J Clin Periodontol. 2017; 44(4):446-453. (Clinical study)

12 Benninger B, et al.: J Oral Maxillofac Surg. 2012; 70(1):149-53. (Clinical study)

13 Yu SK, et al.: J Clin Periodontol. 2014; 41(9):90813. (Clinical study)

14 Zucchelli G, et al.: J Clin Periodontol. 2010; 37(8):728-38. (Clinical study)

15 Cairo F, et al.: J Clin Periodontol. 2012; 39(8):7608. (Clinical study)

16 Vignoletti F, et al.: J Clin Periodontol. 2014; 41 Suppl 15:S23-35. (Review)

17 Zuhr O, et al.: J Clin Periodontol. 2014; 41 Suppl 15:S123-42. (Review)

18 Gargallo-Albiol J, et al.: Int J Oral Maxillofac Implants. 2019;34(5):1059–1069. (Systematic review and meta-analysis)

19 Huber S, et al.: J Clin Periodontol. 2018; 45(4):504512. (Clinical study)

20 Chappuis V, et al.: Int J Periodontics Restorative Dent. 2018; 38:575-582. (Clinical study)

Las recomendaciones del experto ¿POR QUÉ?

El engrosamiento del tejido blando es beneficioso para mejorar la estética de las restauraciones, pero aún más importante es la estabilidad ósea marginal alrededor de los implantes.

¿CUÁNDO?

Geistlich Fibro-Gide® se puede usar en el momento de la colocación del implante o, alternativamente, durante la exposición del mismo. También puede usarse para la rehabilitación protésica convencional.

¿CÓMO?

Es importante recortar la matriz Geistlich Fibro-Gide® para ajustar su tamaño al del defecto. El volumen del dispositivo aumentará de manera pasajera en aprox. un 25 % después de humedecerlo, así que es necesario tenerlo en cuenta cuando se determinen las dimensiones finales.

La movilización de un colgajo generoso es clave para manejar los defectos grandes, y para asegurar el cubrimiento completo de la matriz.

Para lograr unos resultados predecibles, Geistlich Fibro-Gide® se debe sumergir por completo y no quedar expuesta. Reducir el grosor de la matriz en 2-3 mm cerca de los márgenes de la herida puede ser beneficioso para evitar dehiscencias durante la cicatrización.

¿QUÉ SUCEDE SI...?

Puede producirse una dehiscencia y una exposición de la matriz. No obstante, en base a nuestra experiencia, no se han detectado infecciones ni ha sido necesario sacar de manera prematura la matriz. Para asegurar la matriz se recomienda suturarla al tejido blando subyacente, así se reduce el riesgo de desplazamiento.

17

«Los periodoncistas y los ortodoncistas deberían desarrollar juntos estrategias de protección».

El movimiento ortodóncico de los dientes puede aumentar la dehiscencia ósea y la recesión gingival. El Dr. Hector Rios, EE. UU., investiga cómo minimizar este efecto. Hablamos con él acerca de las condiciones relacionadas con la salud, el corto tiempo del tratamiento y el éxito a largo plazo.

Dr. Rios, ¿cuál es el reto para el hueso cuando los dientes se mueven por un tratamiento ortodóncico?

Dr. Rios: El movimiento ortodóncico de los dientes tiene dos efectos diferentes sobre el hueso: por el lado de la compresión, vemos un ejemplo catabólico que provoca la reabsorción ósea. Y por el lado

de la tensión, se forma hueso nuevo, por lo que observamos un efecto anabólico. En función de diferentes factores, como la magnitud de la fuerza, la dirección del movimiento del diente y la anatomía local, estos efectos pueden ser fisiológicos o pueden aumentar la vulnerabilidad del tejido circundante.1

¿Influye el movimiento del diente también sobre los tejidos blandos?

Dr. Rios: Sí. Con frecuencia, las recesiones gingivales son los signos más tangibles de la causa subyacente: la pérdida de hueso.

¿Son frecuentes los problemas? Y en caso afirmativo, ¿cuáles son y cuándo se producen?

Dr. Rios: Entre el 20 y el 35 por ciento de los pacientes desarrollan recesiones gingivales después de un tratamiento ortodóncico.1 La incidencia de la dehiscencia ósea y de la recesión gingival es mayor en los dientes rodeados por fenotipos pe-

riodontales finos.2 Particularmente en los incisivos inferiores y superiores, y también en los caninos inferiores, hay tendencia a la pérdida del tejido blando. Con frecuencia, los problemas aparecen años después del tratamiento.1 Así que para el paciente no existe una causa aparente.

La ortodoncia acelerada quirúrgicamente es una opción terapéutica relativamente nueva. ¿Qué significa este tratamiento?

Dr. Rios: En realidad no es un tratamiento nuevo, aunque ahora la demanda es mayor. La ortodoncia acelerada quirúrgicamente incluye la decorticación del hueso dentoalveolar. De este modo se acelera el movimiento de los dientes en un determinado periodo de tiempo posterior a una lesión.3 Hay diferentes tratamientos que entran en esta categoría. La decorticación puede, por ejemplo, combinarse con aumento de hueso y/o de los tejidos blandos, y se puede hacer de un modo mínimamente invasivo o con elevación de colgajo.

¿Cuál

es el efecto de la decorticación?

Dr. Rios: Por un lado, el efecto mecánico, que es patente. El hueso se daña levemente, permitiendo así mover el diente más fácilmente en esa zona. Pero también hay un efecto bioquímico. El daño de la capa cortical induce la liberación de citoquinas proinflamatorias, como la interleu-

18 GEISTLICH NEWS 1-2020
El efecto de la ortodoncia sobre el fenotipo periodontal Prof. Dr. Hector Rios | EE.UU. Consulta privada en Holland, Michigan Departamento de Periodoncia y Medicina Oral Facultad de Odontología, Universidad de Michigan Entrevista realizada por Verena Vermeulen
«Entre el 20 y el 35 por ciento de los pacientes desarrollan recesiones gingivales después de un tratamiento ortodóncico».

cina 1 beta o el antagonista del receptor de la interleucina. Estas moléculas causan una osteopenia pasajera, durante la cual se acelera el movimiento del diente.

¿Cuál es la ventaja en comparación con el tratamiento ortodóncico convencional?

Dr. Rios: La mayoría de los pacientes adultos que se someten a un tratamiento ortodóncico quieren una solución rá-

pida. Y con esta opción, el tiempo del tratamiento puede reducirse notablemente, en aproximadamente un 50 por ciento.4 Los pacientes también reportan menos dolor.5

Y la combinación de decorticación del hueso dentoalveolar y aumento óseo con sustituto óseo, conocida como terapia ortodóntica asistida quirúrgicamente (SFOT, por sus siglas en inglés), o la ortodoncia osteogénica periodontalmente

acelerada (PAOO, por sus siglas en inglés), puede crear espacio adicional para el movimiento de los dientes y mantener el grosor del hueso vestibular después de la descompensación mandibular. Esto puede resultar muy beneficioso para el plan terapéutico general, y evitar extracciones dentales innecesarias. Por último, la ortodoncia acelerada quirúrgicamente debería reducir el nivel de recidiva ortodóncica.

19
FIG. 1: | A Situación clínica preoperatoria de un paciente en tratamiento ortodóncico. | B Se realizan incisiones gingivales verticales e interradiculares en la cara vestibular de la arcada mandibular, comenzando 2-3 mm por debajo de la papila interdental y con suficiente profundidad para permitir que el piezotomo alcance el hueso alveolar. | C Se hace un túnel y se introduce en él la matriz de colágeno. | D Las suturas de la matriz de colágeno se sitúan en el espacio interproximal/interradicular y agarran al menos la mitad del material.
A C B D
FIG. 1: Ortodoncia acelerada quirúrgicamente y terapia de modificación del fenotipo Ilustración: Quiant

Entonces, ¿el riesgo de secuelas yatrógenas es menor en comparación con el tratamiento ortodóncico no quirúrgico?

Dr. Rios: Sí, recientemente una revisión de la mejor evidencia disponible realizada por la Academia Americana de Periodoncia concluyó que la SFOT mejora la estabilidad postortodóncica de los dientes anteriores inferiores3. Pero la pérdida del tejido a largo plazo después del tratamiento ortodóncico aún no se ha estudiado totalmente.

Lo que hoy en día podemos afirmar es que el tratamiento ortodóncico puede aumentar la susceptibilidad del tejido, y que entender ambas terapias hará que sean más seguras.

Usted hizo un estudio sobre la combinación de SFOT y la terapia de modificación del fenotipo. ¿Qué es lo que quería hallar?

Dr. Rios: El estudio incluía a 40 pacientes que necesitaban un tratamiento ortodóncico.5 Los sujetos se dividieron en cuatro grupos. El primero era el grupo de control, con una ortodoncia convencional, el segundo: ortodoncia más piezocisión, el tercero: ortodoncia más piezocisión más matriz de colágeno, y el cuarto: ortodoncia más matriz de colágeno sin piezocisión.

Así que, por un lado, comparamos el tratamiento ortodóncico con SFOT y, por

otro, estudiamos si la combinación de decorticación con matriz de colágeno sobre el periostio tiene un efecto positivo. (Fig. 1)

¿Cómo?

Dr. Rios: Nuestra idea es que la capa esponjosa de la matriz de colágeno actúa como reservorio para las citoquinas proinflamatorias que se producen en el hueso por la corticotomía. Se sabe que el colágeno tiene esta capacidad. Almacenando las citoquinas y liberándolas durante un periodo de tiempo prolongado, Geistlich Mucograft ® puede prolongar esta ventana de oportunidad en la que mover el diente es más fácil.

Por el otro lado, la densa capa de la matriz debería proteger el periodonto vestibular frente a la invasión de los fibroblastos tisulares. Esto proporciona a los fibroblastos del periodonto el espacio para convertirse en osteoblastos y, así, fomentar la formación de hueso nuevo. Separar estos dos tejidos durante un tiempo resulta beneficioso, porque así los fibroblastos, de rápido crecimiento, no reprimen a los osteoblastos nuevos.

¿Ha observado este efecto?

Dr. Rios: Hemos podido ver un efecto positivo sobre la altura del hueso vestibular y el grosor gingival, y también sobre la duración del tratamiento.5 Este último fue incluso más corto en el grupo con la matriz de colágeno que en el grupo de

SFOT sin matriz de colágeno. Esperamos que, con el tiempo, se produzcan más mejoras en el grosor del hueso vestibular en los dos grupos de matriz de colágeno, pero aún no tenemos los resultados.

¿Qué significa esto para la práctica clínica? ¿Recomienda proteger el hueso con una matriz de colágeno en un tratamiento ortodóncico?

Dr. Rios: Sin lugar a dudas. Y creo que es importante que los periodoncistas y los ortodoncistas desarrollen juntos estrategias protectoras para asegurar un fenotipo periodontal sano a largo plazo. Esto incluye objetivos terapéuticos unificados para minimizar un aumento de la vulnerabilidad de los tejidos a causa del tratamiento ortodóncico. Y también es necesario un cambio de mentalidad para pasar de corregir los defectos a proteger los tejidos.

Bibliografía

1 Renkema AM, et al.: Am J Orthod Dentofacial Orthop. 2013 Feb;143(2):206-12. (Clinical study)

2 Jepsen S, et al.: J Periodontol. 2018 Jun;89 Suppl 1:S237-S248. (Consensus report)

3 Wang CW, et al.: J Periodontol 2019 Oct 31. [Epub ahead of print] (Best Evidence Review)

4 Zimmo N, et al.: J Int Acad Periodontol 2018; 20: 153-62. (Systematic Review and Meta-Analysis)

5 Unpublished data

20 GEISTLICH NEWS 1-2020
«También es necesario un cambio de mentalidad para pasar de corregir los defectos a proteger los tejidos».

Evitar la reabsorción del hueso alveolar: posibilidades y limitaciones

La osteointegración ha dejado de ser el único criterio para el éxito de los implantes. La presencia de suficiente volumen óseo alrededor del implante también es importante para mantener la estabilidad a largo plazo y la estética. Por eso, la prevención de la reabsorción del hueso alveolar se ha convertido en un tema de gran actualidad.

Cicatrización espontánea del alveolo frente a la colocación de un implante inmediato Los cambios dimensionales que se producen en la cresta alveolar tras la cicatrización espontánea del alveolo se han investigado en una serie de estudios clínicos. En el primer año posterior a la extracción, la reabsorción de la cresta alveolar supone una pérdida de 2,6-4,5 mm en la anchura (en torno al 50 %) y de 0,4-3,9 mm en la altura.1

El protocolo para colocar implantes de manera inmediata en los alveolos frescos se introdujo en 1978.2 Varios estudios han demostrado que el momento de la colocación del implante no influye sobre la remodelación del alveolo. Se reportó

21
Preservación de la cresta Drs. Jun-Yu Shi y Hong-Chang Lai | China Departamento de Implantología Oral Shanghai Ninth People’s Hospital Universidad Shanghai JiaoTong | A Antes de la cirugía. | B En el momento de la entrega de la corona. | C Control al cabo de 1 año. Evaluación radiográfica. | D Antes de la cirugía. | E En el momento de la colocación de la corona. | F Control al cabo de 1 año. | G Antes de la cirugía. | H Inmediatamente después de la cirugía. | I Control al cabo de 1 año.
A B D E F G H I C
FIG. 1: Un caso de colocación de un implante inmediato sin colgajo: nivel mucoso mesofacial estable, reabsorción de la tabla ósea vestibular del 21 %. Fotografías: Drs. Jun-Yu Shi y Hong-Chang Lai

una reducción similar en la anchura alveolar (hasta el 56 %) después de la colocación de un implante inmediato (IIP, por sus siglas en inglés).3,4 En estos estudios, todos los implantes se colocaron en el centro del alveolo sin injerto óseo. En otras palabras, la IIP sola no interfiere con la cicatrización secuencial del alveolo y tampoco evita la reabsorción de la cresta.

Preservación de la cresta alveolar frente a la colocación de un implante inmediato con injerto del espacio

La preservación de la cresta alveolar (ARP, por sus siglas en inglés) es una de las técnicas mejor documentadas para evitar la reabsorción del hueso alveolar y compensar la remodelación del alveolo.5 Un metaanálisis reciente reportó que la ARP, en comparación con la cicatriza-

ción espontánea del alveolo, puede evitar la reabsorción ósea en las diferentes dimensiones: 1,99 mm horizontal, 1,72 mm vertical mesovestibular y 1,16 mm vertical mesiolingual.6 Otro estudio ha demostrado que la ARP puede evitar en torno al 15-25 % de la reabsorción ósea horizontal en comparación con la cicatrización espontánea del alveolo, y que permite colocar el implante en la posición protésica guiada sin procedimientos de aumento óseo adicionales en el 90,1 % de los sitios ARP, pero solo en el 79,2 % de los sitios de control.7

Hemos demostrado que la IIP sola no puede prevenir la reabsorción de la cresta alveolar; no obstante, los resultados pueden ser totalmente diferentes cuando se emplean procedimientos de regeneración ósea guiada (ROG). Un estudio prospectivo anterior mostró

que Geistlich Bio-Oss ® puede reducir significativamente la reabsorción horizontal del hueso vestibular después de una IIP (grupo Geistlich Bio-Oss®: reabsorción del 15,8±16,9 %, grupo Geistlich Bio-Oss® + Geistlich Bio-Gide®: reabsorción del 20,0±16,9 %, grupo de control: reabsorción del 48,3±9,5 %). 4 Una revisión reciente también ha concluido que la forma original de la cresta se puede conservar colocando los implantes en dirección palatina, y rellenando los huecos con materiales de injerto.8 En nuestro centro, la IPP es una opción terapéutica rutinaria para sustituir dientes individuales en la región anterior con dehiscencias óseas vestibulares limitadas (menos del 20 %). El índice de reabsorción del hueso vestibular oscila desde el 18 hasta el 25 %, y la recesión avanzada de la mucosa mesiofacial es poco frecuente (<5 %). (Fig.1)

22 GEISTLICH NEWS 1-2020
Ilustración: Quaint/ Geistlich Pharma AG, basada en Avila-Ortiz y cols. 6

El índice de reabsorción del hueso vestibular (15-20 %) después de la IIP combinada con ROG es parecido al de la ARP. En teoría, el proceso de cicatrización de la ARP y la IIP combinada con ROG es parecido, porque el implante en sí no interfiere con la remodelación del alveolo. Así que tiene lógica que la IIP combinada con procedimientos de ROG consiga

unos resultados parecidos en la prevención de la reabsorción del hueso alveolar, siempre que los implantes se coloquen en la posición 3D correcta, que es un procedimiento quirúrgico difícil. Puede ser interesante estudiar en modelos experimentales con animales si los alveolos con ARP e IIP combinada con ROG muestran algunas diferencias en la secuencia de la cicatrización.

Las limitaciones de la colocación de implantes inmediatos

Debe señalarse que, en comparación con la colocación de implantes tempranos, varios estudios han concluido que la IIP aumenta el riesgo estético.9,10 Aunque algunos dentistas defienden una técnica sin colgajo, los implantes posicionados hacia palatino, los implantes de diámetro estrecho, rellenar el hueco con materiales de injerto, el aumento del tejido blando en el momen-

to de la cirugía del implante y los procedimientos para proteger el alveolo cuando los implantes se colocan en alveolos frescos;11 unos resultados estéticos excelentes solo se pueden conseguir en casos estrictamente seleccionados.12 Otro aspecto importante es el fracaso del implante temprano, ligeramente superior para la IIP en comparación con la colocación de un implante tardío (5,1 % vs. 1,1 %),13 especialmente cuando no se usan antibióticos profilácticos. En conclusión, comparadas con la cicatrización espontánea del alveolo, la preservación de la cresta alveolar y la colocación de un implante inmediato combinadas con procedimientos de regeneración ósea guiada pueden reducir los índices de reabsorción de la cresta alveolar (15-25 %).

Sin embargo, antes de tomar las decisiones clínicas deben tenerse en cuenta las estrictas indicaciones y una tasa de fracaso temprano potencialmente mayor.

mm

Bibliografía

1 Van der Weijden F, et al.: J Clin Periodontol 2009;36(12):1048-58. (Systematic review)

2 Schulte W, et al.: Dtsch Zahnarztl Z 1978;33(5):34859. (Clinical study)

3 Botticelli D, et al.: J Clin Periodontol 2004;31(10):820-8. (Clinical study)

4 Chen ST, et al.: Clin Oral Implants Res 2007;18(5):552-62. (Clinical study)

5 Jung RE, et al.: Periodontol 2000 2018;77(1):165-175. (Review)

6 Avila-Ortiz G, et al.: J Clin Periodontol 2019;46 Suppl 21:195-223. (Systematic review and meta-analysis)

7 Willenbacher M, et al.: Clin Implant Dent Relat Res 2016;18(6):1248-1268. (Meta-analysis)

8 Clementini M, et al.: J Clin Periodontol 2015;42(7):666-77. (Systematic review and meta-analysis)

9 Araujo MG, et al.: Periodontol 2000 2019;79(1):168177. (Review)

10 Buser D, et al.: Periodontol 2000 2017;73(1):84-102. (Review)

11 Kan JYK, et al.: Periodontol 2000 2018;77(1):197-212. (Review)

12 Vignoletti F, Sanz M: Periodontol 2000 2014;66(1):132-52. (Review)

13 Cosyn J, et al.: J Clin Periodontol 2019;46 Suppl 21:224-241. (Systematic review and meta-analysis)

23
de la reabsorción ósea vertical mesiovestibular de la reabsorción ósea horizontal de la reabsorción ósea vertical mesiolingual La preservación de la cresta evita: 1,99
1,16
1,72
«En comparación con la colocación de implantes tempranos, varios estudios han concluido que la IIP aumenta el riesgo estético».
mm
mm

«Se trata de ayudar a los pacientes antes de que surjan los problemas».

En agosto de 2019, la Academia Americana de Periodoncia (AAP) organizó un Best Evidence Consensus (BEC) sobre la terapia de modificación del fenotipo. ¿Cuáles fueron sus conclusiones? Entrevistamos al Prof. Kenneth Kornman y al Dr. Richard Kao, presidente de la AAP.

La terapia de modificación del fenotipo (PhMT) fue el tema general del Best Evidence Consensus 2019. ¿Qué significa el término «fenotipo»?

Dr. Kao: Fenotipo significa lo que ves, pero también se basa en factores genéticos. Los asiáticos, por ejemplo, tienen raíces más cortas y una relación corona a raíz diferente. Sus tejidos son, por lo general, más finos que los de los caucásicos, y tienen más dehiscencias óseas. Tienen diferentes fenotipos. Una enfermedad gingival, una pérdida ósea o una pérdida de inserción menores pueden tener un mayor impacto en estos pacientes.

¿Entonces «modificación del fenotipo» significa transformar un fenotipo fino en uno más grueso?

Dr. Kao: Sí. Porque en el caso de la colocación de un implante o de un tratamiento ortodóncico, los pacientes con un fenotipo delgado, por ejemplo con hueso vestibular fino o tejidos blandos finos,

son más propensos a desarrollar recesiones gingivales. Estos pacientes se beneficiarían si cambiásemos esta situación y modificásemos su fenotipo para conseguir unos resultados sostenibles.

Prof. Kornman: Estoy de acuerdo. En la terapia de modificación del fenotipo se trata de reconocer las situaciones individuales de los pacientes, y ayudarles antes de que se produzcan los problemas. Pensamos que es un ámbito importante en el que centrarnos en el futuro. El punto de partida del BEC es determinar dónde se encuentra la auténtica necesidad clínica. Si hay una necesidad, ¿cómo la manejan actualmente los odontólogos? El proceso del BEC produce resúmenes de la evidencia y de la experiencia clínica disponibles para ayudar a aumentar la confianza en determinadas aplicaciones clínicas espe-

24 GEISTLICH NEWS 1-2020
Entrevista con el Prof. Kenneth Kornman y el Dr. Richard Kao realizada por Verena Vermeulen Hablando con el Dr. Richard Kao (izquierda) y el Prof. Kenneth Kornman en el Encuentro Anual 2019 de la AAP en Chicago. Fotografías: Daniele Micieli

cíficas. Estamos ampliando la capacidad de nuestros clínicos para ayudar a más pacientes a vivir bien más tiempo.

Han discutido varias indicaciones en las que la PhMT podría beneficiar a los pacientes. ¿Cuáles son?

Dr. Kao: Nos centramos en los tejidos alrededor de los dientes1, alrededor de los implantes2, en el contexto del tratamiento ortodóncico.3. Las cuestiones principales eran: ¿Cuándo es beneficioso engrosar los tejidos blandos para crear más tejido queratinizado o engrosar el hueso? Por ejemplo, en el contexto de la colocación de un implante: ¿es ventajoso engrosar el tejido blando además de aumentar el hueso?

Un motivo podría ser que la mucosa periimplantaria es más vulnerable que la encía alrededor de un diente. ¿Es este el caso?

Dr. Kao: Sí, los tejidos alrededor de un implante son más propensos a sufrir lesiones o pérdidas que alrededor de los dientes. No hay fibras de Sharpey ni cemento. El tejido conectivo contiene menos vasos sanguíneos y fibroblastos. Las publicaciones muestran que el armazón óseo en la zona anterior es muy fino en la mayoría de los pacientes.1Es una de las áreas que, con el tiempo y la edad, previsiblemente experimentarán recesión gingival, incluso alrededor de los dientes. Con un implante este riesgo es incluso mayor, aunque esté bien colocado. Así que sí hay motivos para preparar la cresta antes de colocar un implante.

¿Cuál fue la conclusión del grupo respecto al tejido blando alrededor de los implantes?

Dr. Kao: El Dr. Guo-Hao Lin y sus colegas prepararon un metaanálisis sobre la importancia de modificar quirúrgicamente el fenotipo de los tejidos blandos alrededor de prótesis dentales fijas. Una de las conclusiones fue que el aumento del grosor de los tejidos blandos y de la cantidad de tejido queratinizado puede ser

Acercando la evidencia a la opinión. El Prof. Kornman explica cuál es la principal idea detrás del concepto Best Evidence Consensus.

Prof. Kornman, a usted se le llama el inventor del formato Best Evidence Consensus. ¿Cómo surgió esta idea?

Prof. Kornman: Desde hace muchos años el Journal of Periodontology recibe un gran número de revisiones sistemáticas bien diseñadas sobre temas clínicos importantes. Pero teniendo en cuenta la evidencia limitada de la que se suele disponer, los autores rara vez concluían lo que podría ser útil que los dentistas incorporaran en tipos de casos específicos.

Solían terminar afirmando que «se necesita seguir investigando».

Prof. Kornman: Exactamente. Así que, en un momento dado, dejamos de considerar para la publicación aquellas revisiones sistemáticas que habían sido iniciadas por los propios autores. Estuvimos varios años discutiendo sobre cómo podríamos proporcionar una perspectiva sobre la aplicación clínica de determinadas tecnologías empleadas por muchas personas, a pesar de que no hubieran tantas publicaciones como nos gustaría. Y aquí es cuando surgió la idea del Best Evidence Consensus.

En la reunión de consenso, la evidencia existente se combina con la experiencia clínica del grupo de consenso. ¿Cómo funciona este trabajo de combinación?

Prof. Kornman: Hemos planteado un proceso muy formal y eficaz para rellenar el vacío entre la evidencia y la opinión. Un factor importante es que siempre tenemos muy claro cuáles son las preguntas subordinadas de las preguntas principales. Después, encargamos extensas revisiones sistemáticas sobre las preguntas subordinadas, y de este modo obtenemos más conocimientos que nos acercan a aplicaciones clínicas más amplias de lo que muchos sabían. Durante la reunión, clínicos expertos que han usado la tecnología, que tienen una opinión sobre ella y que pueden hablar de su experiencia, debaten sobre los resultados. Queremos saber dónde ven oportunidades específicas y los puntos débiles, y cómo esto se ajusta a la evidencia existente. Los resultados de estas intensas discusiones se compilan en un informe de consenso, que nos permite comunicarnos con los clínicos interesados de todo el mundo.

25 AMPLITUD DE MIRAS

ventajoso para conseguir un tejido periimplantario sano más favorable.1 Y en la declaración de consenso se recoge que la terapia de modificación del fenotipo alrededor de prótesis dentales fijas puede mejorar la estética, es decir, se crea una arquitectura más armoniosa del tejido blando y las restauraciones, los pilares y los implantes se transparentan menos. Además mejora el confort, la higiene y el mantenimiento.

El tercer tema fue la modificación del fenotipo en la ortodoncia. ¿Por qué hay necesidad de modificar el fenotipo aquí también?

Dr. Kao: Las publicaciones muestran que entre el 20-35 % de los pacientes desarrollan recesión gingival vestibular transcurridos de dos a cinco años desde el tratamiento ortodóncico.3 Esto depende del fenotipo, pero también del estado del tejido óseo craneal y facial. Si los tejidos duros y blandos son finos, las recesiones aparecerán muy poco después del tratamiento ortodóncico. Si el hueso es fino, pero el tejido es grueso, las recesiones serán visibles unos años después.

¿Cómo se modifica el fenotipo en este contexto? ¿Qué método se discutió en la revisión sistemática y durante el encuentro?

Dr. Kao: En la mayoría de los tratamientos ortodóncicos suele haber suficiente volumen de hueso y de tejido blando. En los casos donde hay preocupación por una posible recesión gingival, los clínicos pueden «engrosar» activamente la encía mediante injerto. Si la planificación y el

Definición

análisis del tratamiento ortodóncico indican que los movimientos necesarios van más allá de la envoltura ósea y del tejido blando, los procedimientos más habituales son terapia ortodóntica asistida quirúrgicamente, SFOT, ortodoncia osteogénica periodontalmente acelerada, PAOO, y tratamiento ortodóncico asistido por corticotomías, CAOT. Estas técnicas implican cirugía de corticotomía y decorticación del complejo dentoalveolar con o sin injerto de hueso particulado. El objetivo es permitir un movimiento de los dientes más rápido y ensanchar el hueso de la mandíbula. Chin-Wei Wang y cols. se centraron en estas técnicas en su

metaanálisis sobre la cuestión: ¿Es la terapia periodontal de modificación del fenotipo beneficiosa para los pacientes que reciben un tratamiento ortodóncico?3

¿Cuáles son sus conclusiones de la bibliografía?

Dr. Kao: Las terapias como SFOT, PAOO y CAOT pueden acortar el tiempo del tratamiento y acelerar el movimiento de los dientes. Pero también soportaban un mayor movimiento del diente. Lograron unas dimensiones óseas más gruesas y redujeron las dehiscencias. Y, por último, mejoraron la estabilidad de los dientes anteriores inferiores después de la tera-

Fenotipo es el aspecto de un órgano en base a sus rasgos hereditarios y factores ambientales. En relación a la cavidad oral, el fenotipo incluye, por ejemplo, el grosor del hueso y la calidad y el grosor de los tejidos blandos.

La terapia de modificación del fenotipo hace referencia a la intervención quirúrgica que implica el aumento/la modificación del tejido blando y/o duro para transformar un fenotipo dino en uno grueso, tanto en la dentición natural como en los implantes dentales (o de grueso a más grueso).

26 GEISTLICH NEWS 1-2020
El Dr. Kao y dos de sus colegas han tratado juntos a 1.500 pacientes mediante el método SFOT. «Los tres coincidimos en el 90 por ciento de la estrategia del tratamiento. En el 10 % restante discrepábamos».

¿Se mantiene la salud periodontal si el fenotipo de la encía se modifica de delgado a grueso?

pia ortodóncica; una zona en la que las envolturas óseas son muy finas. También lograron reducir el grado de recidiva ortodóncica durante el seguimiento a 10 años.4

Hasta la fecha se han publicado unos cuantos estudios en este ámbito. ¿Cuál fue la experiencia en el grupo de consenso?

Dr. Kao: Tres de nosotros hemos tratado un total de 1.500 casos con estas técnicas, así que compartimos con los demás nuestra documentación y las observaciones. ¿Qué materiales usamos? ¿Cuál fue la secuencia de los procedimientos? ¿Cuáles eran los puntos que había que controlar, qué herramientas diagnósticas necesitamos? ¿Qué fue lo que intentamos y no funcionó? En aproximadamente el 90 por ciento del contenido, los tres habíamos aplicado la misma estrategia. En el 10 % restante discrepábamos. Pero no pasa nada. Esto muestra que hay cierta flexibilidad clínica.

¿Concluyó el grupo de consenso que la PhMT es beneficiosa en el ámbito de la terapia ortodóncica?

¿Cuál es el efecto de la modificación quirúrgica del fenotipo del tejido blando alrededor de la prótesis dental fija?

Dr. Kao: Sí, el grupo de consenso llegó a la conclusión de que la terapia de modificación del fenotipo debería hacerse antes del tratamiento ortodóncico en aquellos pacientes con fenotipo fino, en los que el movimiento de los dientes podría afectar negativamente al armazón óseo.4 Y, además, habrá ocasiones en las que será necesario hacer un aumento de los tejidos duros y blandos.

¿Conocen los ortodoncistas estos avances?

Dr. Kao: Sí, en la actualidad los ortodoncistas trabajan con sistemas de modelación digitales basados en la información del CBCT, y los utilizan para planificar el grado de movimiento de los dientes y lo que supondrá para la envoltura ósea. Así que podemos planificar juntos cómo proteger la envoltura y evitar las complicaciones a largo plazo con un engrosamiento precoz de la encía y el hueso.4

¿Puede ser este trabajo interdisciplinar una fuente de errores?

Dr. Kao: La colaboración es muy beneficiosa y el camino que hay que seguir en el futuro. El Dr. George Mandelaris está

¿Es la terapia periodontal de modificación del fenotipo beneficiosa para los pacientes que reciben un tratamiento ortodóncico?

preparando un artículo sobre cómo puede organizarse de la manera más eficaz este trabajo interdisciplinar entre los ortodoncistas, los periodoncistas y, posiblemente, también los cirujanos orales.

¿Hay prevista una mayor colaboración entre las sociedades de periodoncia y ortodoncia?

Dr. Kao: La AAP y la American Orthodontic Association están muy interesadas en colaborar. Hemos programado una conferencia conjunta para 2021, y actualmente estamos pensando en formar un equipo para crear una plataforma de aprendizaje a distancia. Esto ayudaría a que este tipo de información llegara a más personas.

Bibliografía

1 Kim DM, et al.: J Periodontol 2019 Nov 6. [Epub ahead of print] (Review)

2 Lin GH, et al.: J Periodontol 2019 Oct 31. [Epub ahead of print] (Review)

3 Wang CW, et al.: J Periodontol 2019 Oct 31. [Epub ahead of print]. (Review)

4 Kao, R. et al.: J Periodontol 2020 Jan 13. [Epub ahead of print]. (Consensus)

27 AMPLITUD DE MIRAS
Ilustración: Quiant FIG. 1: Estos tres temas se discutieron en el AAP Best Evidence Consensus 2019.

Cinco preguntas para cinco expertos

Pedimos a cinco clínicos investigadores premiados que contestaran a cinco preguntas sobre la investigación.

El resultado: 25 reflexiones profesionales y personales ¡Y una comparación intergeneracional!

¿De qué premio de investigación se siente más orgulloso?

Del EFP Distinguished Scientist Award 2019. Es un reconocimiento a mi larga carrera como investigador y clínico.

¿Cuál cree que fue el motivo por el que lo ganó?

Por la meticulosa recopilación de todos los datos a corto y a largo plazo. ¡Son fundamentales!

¿Qué consejo daría a los que están empezando a hacer investigación?

Cuando planifiques el proyecto de investigación clínica o básica, pregúntate solo una cosa y contéstala según un protocolo preciso.

¿Ha parado alguna vez un proyecto de investigación?

Solo he cancelado dos proyectos que no eran realizables por sus costes y por las dificultades para encontrar apoyo financiero.

¿Cuánto tiempo dedica a la investigación y al tratamiento de los pacientes?

Creo que se debe dedicar más tiempo a la investigación. En mi caso, la relación es 4:2.

¿De qué premio de investigación se siente más orgulloso?

Del premio Europeo de Investigación Básica en Implantología 2019 de la EAO.

¿Cuál cree que fue el motivo por el que lo ganó?

Por la colaboración entre los grupos de investigación en Austria y Brasil. La tutoría que tuve en Viena y la motivación de participar en un estudio innovador nos condujo al objetivo.

¿Qué consejo daría a los que están empezando a hacer investigación?

¡Creo que ser proactivo y trabajar colaborando con otros colegas son buenos puntos de partida!

¿Ha parado alguna vez un proyecto de investigación?

Hasta la fecha, solo proyectos en la fase de diseño. Estoy aprendiendo que planificar las actividades y compartir responsabilidades, permiten manejar la carga de trabajo.

¿Cuánto tiempo dedica a la investigación y al tratamiento de los pacientes?

Estoy participando en un programa de doctorado a tiempo completo que incluye investigación básica y clínica. Así que diría que 50:50.

28 GEISTLICH NEWS 1-2020
Puntos de vista
Gabriel Leonardo Magrin | Brasil Universidad de Medicina de Viena –Universidad Federal de Santa Catarina Prof. Giovan Paolo Pini Prato | Italia Universidad de Florencia

¿De qué premio de investigación se siente más orgullosa?

El primer premio en Investigación Clínica en el Simposio de Osteología Nacional 2018 de EE. UU.

¿Cuál cree que fue el motivo por el que lo ganó?

Probablemente el hecho de que nuestros resultados puedan ayudar a los clínicos a comprender cómo la FRP mejora la regeneración tisular.

¿Qué consejo daría a los que están empezando a hacer investigación?

Encuentra en tema que te apasione y a la gente con la que te sientas bien trabajando. De esta forma disfrutarás del proceso de investigación.

¿Ha parado alguna vez un proyecto de investigación?

¡Hasta ahora no! Y tengo una actitud positiva... Si no se desiste, el resultado puede ser aún mejor de lo imaginado.

¿Cuánto tiempo dedica a la investigación y al tratamiento de los pacientes?

En la facultad paso la mitad de tiempo tratando pacientes. El resto lo dedico a la investigación.

¿De qué premio de investigación se siente más orgulloso?

Del premio Europeo de Innovaciones Clínicas en Implantología 2018 de la EAO.

¿Cuál cree que fue el motivo por el que lo ganó?

El premio se basa tanto en el proyecto como en la calidad de la presentación. Se trataba de un EAC donde se comparaba el bloque L-PRF con el xenoinjerto solo en la elevación del seno lateral. Respecto a la calidad, ¡debo decir que tener un buen profesor en casa ayuda! (Pierpaolo Cortellini).

¿Qué consejo daría a los que están empezando a hacer investigación?

No investigues solo; una investigación bien hecha es el resultado del esfuerzo de un equipo. Y si investigas, ¡hazlo al máximo nivel para mejorar tus conocimientos científicos y clínicos!

¿Ha detenido alguna vez un proyecto de investigación?

Aún no, ¡pero es cierto que todavía soy joven y ya habrá tiempo!

¿Cuánto tiempo dedica a la investigación y al tratamiento de los pacientes?

Trabajo todo el tiempo en la universidad, haciendo mi doctorado. Yo diría que 40:60.

¿De qué premio de investigación se siente más orgulloso?

Del primer premio en Investigación Clínica en el Simposio de Osteología Internacional 2019.

¿Cuál cree que fue el motivo por el que lo ganó?

Por la profundidad y la calidad de los datos. Y creo que también por el tema y por el hecho de que fue un EAC.

¿Qué consejo daría a los que están empezando a hacer investigación?

Se paciente y disfruta. Y date tiempo para llegar al nivel de experto.

¿Ha parado alguna vez un proyecto de investigación?

No, realmente no. Me han enseñado a aceptar la biología objetivamente. Aunque los datos no coincidan con tus objetivos se pueden conseguir resultados significativos.

¿Cuánto tiempo dedica a la investigación y al tratamiento de los pacientes?

Si le soy honesto, tengo un buen salario en la universidad, así que tengo que contribuir en la misma medida. Diría que 40:60.

29 AMPLITUD DE MIRAS
Dra. Jennifer Chang | EE. UU. Universidad de Texas Simone Cortellini | Italia Universidad Católica de Lovaina Prof. Ki­Tae Koo | Corea Universidad Nacional de Seúl

Yxoss CBR® – una mirada más de cerca a la formación ósea

IMG. 1: Tinción azul de toluidina y amarillo de pironina de una muestra representativa. Matriz osteoide y células (azul), tejido en fase de mineralización (púrpura), Geistlich Bio-Oss® y hueso altamente mineralizado (marrón). | A Revisión. | B­C 200X. | D­E

Se injertó una mezcla 50:50 de hueso autólogo y Geistlich Bio-Oss® gránulos en crestas alveolares atróficas humanas, se estabilizó con Yxoss CBR®, se fijó con microtornillos de titanio y se cubrió con Geistlich Bio-Gide® Transcurridos nueves meses, el análi-

sis histológico mostró hueso nuevo altamente mineralizado y bien organizado (A) con una densa matriz osteoide, localizada principalmente en la porción coronal (B). Los restos de Geistlich Bio-Oss® estaban perfectamente osteointegrados y rodeados por espacios estrechos ocupa-

dos por numerosos vasos sanguíneos sin infiltrado inflamatorio (C). El gran número de frentes de remodelación ósea ricos en osteoblastos depositando matriz nueva (D) y osteoclastos en una laguna causada por la reabsorción (E) confirmaban la vitalidad del hueso regenerado.

30 GEISTLICH NEWS 1-2020
Histología
Profa. Claudia Dellavia | Italia Departamento de Ciencias Biomédicas, Quirúrgicas y Dentales Universidad de Milán 400X. Fotografías: Claudia Dellavia
A H C D E

¿Un nuevo comienzo en la cicatrización de las heridas?

Problemas de cicatrización en la diabetes

AMPLITUD DE
MIRAS
31

Aproximadamente uno de cada tres pacientes diabéticos desarrolla una herida del pie a lo largo de su vida.1 ¿Por qué la regeneración de los tejidos ya no funciona en muchos casos? ¿Podría una mejor comprensión llevar a nuevas terapias?

La cicatrización natural de las heridas es un proceso biológico muy complejo, pero también muy bien organizado. Consta de cuatro fases: hemostasia, inflamación, proliferación y remodelación.

De los cuidados de urgencia a la regeneración

Después de una lesión, los trombocitos se activan y desencadenan la cascada de coagulación en la zona de la herida sangrante. Este proceso es parte de los «cuidados de urgencia» primarios, es decir, detener la hemorragia. A este primer paso le sigue inmediatamente después la fase inflamatoria, donde los granulocitos neutrófilos, los macrófagos y los linfocitos T se envían a la herida en el primer día. Su función es eliminar las bacterias y el tejido dañado.2,3 Esta reacción inflamatoria está impulsada por diferentes citocinas. La siguiente fase es la proliferativa, donde tejido y vasos sanguíneos nuevos, además de una matriz extracelular nueva, rellenan la zona de la herida. En este paso se liberan distintos factores de crecimiento y citocinas para ayudar en el proceso de reconstrucción. Bajo la influencia de los factores de crecimiento epidérmicos o queratinocítico se estimula la migración de los fibroblastos y la construcción de una matriz extracelular.3 Las metalo-

proteinasas de la matriz (MM) también se integran en las diferentes fases de la herida. Estimulan la migración celular y la restauración del epitelio. Hacia el final del proceso de cicatrización se produce una afluencia de queratinocitos desde los bordes de la herida. La intensidad de la circulación sanguínea se reduce y se forma epitelio nuevo.

El principal problema.

La inflamación

«Estos procedimientos son extremadamente complejos, porque en ellos participan un gran número de factores», explica el Prof. Dr. David Armstrong de la Universidad del Sur de California/Los Ángeles. 4 Igual de complejos son las situaciones en torno a las heridas diabéticas crónicas, donde los procesos de cicatrización naturales de las heridas están alterados. «Es como un ordenador lento en el que hay varios programas ejecutándose en un segundo plano», dice el experto en medidas. «Tenemos células inmunitarias, citocinas inflamatorias, quimiocinas e interacciones intercelulares, y nada de ello está bajo control. Esto impide que tenga lugar el proceso normal de la cicatrización de la herida.»5 De hecho, los neutrófilos, los macrófagos y los neutrófilos están sobreactivados y la cantidad de citocinas proinflamatorias y de proteasas reductoras de tejido permanece permanentemente elevada.3 Los fibroblastos y las células endoteliales no se multiplican, por lo que la última fase de la cicatrización de la herida no tiene lugar. La úlcera permanece abierta.

Los agresivos macrófagos M1 son un factor importante

El desequilibrio entre los macrófagos M1 y los macrófagos M2 activados es un factor clave, puntualiza Armstrong.4 Mientras que en el proceso de cicatrización

habitual los macrófagos M1 promotores de la inflamación son sustituidos por los macrófagos M2 «más suaves», en las heridas crónicas el nivel de los macrófagos M1 agresivos permanece alto. «Funcionan como del "fuego"o», explica el experto americano. Estas lesiones abiertas se caracterizan también por niveles altos de especies de oxígeno reactivo y por el aumento de hierro libre.3 Por último, las células madre, que tras una lesión suelen diferenciarse en diferentes tipos de células en la epidermis, muestran también trastornos funcionales, especialmente en los pacientes ancianos.

Las bacterias crean su propio entorno

Y si esto no fuera suficiente, más de la mitad de las heridas diabéticas están infectadas con bacterias.6 En los países occidentales son principalmente bacterias grampositivas aerobias, como Staphylococcus y Streptococcus 4 «A las bacterias les interesa que la herida permanezca abierta. Crean su propio medio, producen una biopelícula y desarrollan barreras para evitar poner en peligro este entorno, es decir, la cicatrización de la herida», explica David Armstrong. La biopelícula está compuesta de azúcar polimérico, proteínas y ADN bacteriano, y protege a los microbios de las células endógenas.3 Si el estado de la herida empeora con el tiempo, la flora bacteriana incrementa su complejidad y diversidad. Además, los hongos también suelen poblar este entorno.

Favoreciendo el proceso de cicatrización

Las personas llevamos muchos años intentando ayudar a la cicatrización de las heridas crónicas mediante un amplio abanico de medidas. En los últimos años, y gracias fundamentalmente a los nuevos

32 GEISTLICH NEWS 1-2020
Dr. Klaus Duffner

de

MILLONES de diabéticos en todo el mundo

hallazgos científicos sobre los procesos de formación celular y molecular de las heridas, ha sido posible desarrollar nuevas estrategias para el tratamiento de las heridas. El objetivo es estimular la producción de sustancias y de células que promuevan la cicatrización usando factores de crecimiento. También se están investigando diferentes enfoques en la terapia genética. En la terapia de las heridas con presión negativa, el vacío que se aplica en la herida fomenta la formación de vasos sanguíneos lo que, a su vez, acelera el suministro de oxígeno y de nutrientes hacia el área de la lesión y esto es muy beneficioso para la cicatrización.

Geistlich realiza investigaciones en este ámbito

Geistlich ha desarrollado una matriz bicapa reconstituida purificada, que muestra unos efectos muy prometedores en la cicatrización de las heridas crónicas.7 La capa superior compacta imita la membrana basal y favorece la migración de los queratinocitos. Permite la fijación de los factores de crecimiento y proporciona protección mecánica a la herida. Además, la matriz también puede suturarse a la herida en el caso de que el médico quiera una fijación adicional. La capa inferior porosa modula la actividad de las metaloproteinasas, y proporciona una estructura óptima para la migración de las células. También absorbe el fluido de la herida fácilmente.

El riesgo de morir es doble para los diabéticos con heridas.

En un estudio en pacientes con heridas de un tamaño medio de 3,3 centímetros cuadrados, la mediana de tiempo hasta el cierre de la herida fue de 2,7 semanas con esta matriz avanzada para heridas.7 «Geistlich Derma-Gide® proporciona una estructura para un entorno más “venébolo”», subraya Amstrong. «Esto permite un nuevo comienzo para la cicatrización».

Bibliografía

1 diabeticfootonline.com

2 Patel S, et al.: Biomedicine & Pharmacotherapy Volume 112, April 2019

3 Matrankonaki E, et al.: JDDG 2016.

4 Prof. Dr. David Armstrong (interview)

5 Armstrong DG, Gurtner, GC: Nat Rev Endocrinol 2018; 14(9): 511-12.

6 diabeticfootonline.com

7 Brochure: Geistlich Derma-Gide®, Advanced Wound Matrix

33 AMPLITUD DE MIRAS habitantes con heridas crónicas MILLONES 8 80% 50% 30% 20% de las amputaciones no causadas por accidentes se deben a la diabetes
diabéticos en
desarrollan
pie
ellos tienen infecciones bacterianas
de
todo el mundo
heridas del
de
200 % DE RIESGO
estas heridas terminan en amputación
425
(50 % de ellos lo desconocen)
Ilustración: Geistlich Pharma, basada en diabeticfootonline.com IMG. 1: La diabetes es frecuente y puede tener graves consecuencias.

OBTENIDO DEL PALADAR

ULRIKE SCHULZE-SPÄTE y su equipo del Hospital Universitario de Jena investigan cómo tratar las recesiones mediante un procedimiento mínimamente invasivo y usando una matriz de colágeno de volumen estable (VCMX).

Ya no me siento cómoda cuando sonrío; mis encías están inflamadas y tengo sensibilidad en las raíces de los dientes.

Esto es justo lo que estaba buscando... La técnica VISTA*, desarrollada por Homa Zadeh1, combinada con esta matriz nueva es buena por diferentes motivos.2-8

¿Cómo puedo tratarla dañando lo menos posible el tejido? Me gustaría poder conservar al máximo el tejido usando regeneración...

ESTABILIDAD DEL VOLUMEN

Esta matriz de colágeno tiene una inteligente reticulación para mejorar la estabilidad de su volumen…2, 3

ESTABILIZACIÓN DEL COÁGULO SANGUÍNEO

La estructura porosa permite la estabilización del coágulo sanguíneo y la penetración de las células huéspedes3, 4, y además favorece la angiogénesis.5, 6

...y se puede recortar en fragmentos para la aplicación individual.

ALTERNATIVA AL MÉTODO DE REFERENCIA

Los resultados no son inferiores a los del método de referencia, los tejidos de tejido conectivo, en cuanto al aumento del volumen del tejido blando alrededor de los implantes dentales.7

Injerto de tejido conectivo

inicial
+
+ 1
+ 1,5
* Acceso de Túnel Mediante Incisiones Vestibulares subperiósticas
+ 0,5 mm Situación
Hueso
1,8 mm Geistlich Fibro-Gide® (VCMX)
mm
mm
Histología por cortesía de la Universidad de Zúrich, Suiza Mediana de los valores del grosor del tejido blando entre la situación inicial y FU-90.5

LA TÉCNICA VIST-X9

Esta técnica ha sido desarrollada por Ulrike Schulze-Späte para reducir el traumatismo quirúrgico asociado al aumento del tejido blando, y facilita el uso de Geistlich Fibro-Gide®. Permite el injerto simultáneo de varias recesiones gingivales contiguas de clase I y II de Miller, especialmente en la zona estética.

Minimizando las reparaciones invasivas y aprovechándome de las ventajas que me ofrecen los biomateriales, puedo preservar el tejido del paciente y ayudar a su regeneración.9

¡El tiempo de cirugía fue corto y me alivió saber que no era necesario obtener tejido de mi paladar!

AMPLITUD DE MIRAS 35
1. Preparación de un colgajo de espesor total a través de la incisión de acceso vestibular alrededor de los dientes con la recesión gingival y los dientes adyacentes. 4. Estabilizamos las suturas con composite fluido. 3. Se aplican suturas de anclaje. 2. Se colocan fragmentos de Geistlich Fibro-Gide® (aprox. 3 x 5 mm) por debajo del colgajo hasta que el grosor gingival sea, como mínimo, de 3 mm, y el margen gingival del diente con la recesión se eleve hacia la unión amelocementaria.

«Una experiencia transformadora»

Cuando se observa la carrera profesional de Ausra Ramanauskaite en los últimos cinco años, se puede ver que la Osteology Foundation ha sido siempre su acompañante fiel. Esta profesional reflexiona sobre los últimos años durante el Congreso EAO 2019 en Lisboa.

Ausra Ramanauskaite atraviesa el vestíbulo del Centro de Congresos de Lisboa con una taza de café en la mano. El Congreso EAO está a pleno ritmo. El primer descanso del día hace que el luminoso vestíbulo se llene de asistentes de todo el mundo, y que las conversaciones se entremezclen en un monótono murmullo. «Descubrí la Osteology Foundation hace nueve años en este mismo congreso, pero en Copenhague», explica sonriendo. En aquel evento fue cuando conoció a Kristian Tersar, el actual director ejecutivo de la Osteology Foundation, en el stand de la fundación. Fue él quien la animó a asistir a un curso de la Osteology Research Academy.

Y el viaje comenzó.

Ella nos cuenta cómo empezó todo. El lunes 15 de septiembre de 2014 tomó un vuelo en Vilnius para viajar a Zúrich. Después cogió el tren hasta Lucerna, el corazón de Suiza, donde cada año se celebra el curso de la Research Academy de la Osteology Foundation. Durante los días siguientes, y a través de las ponencias, los talleres y los debates con expertos en el ámbito de la regeneración de los tejidos orales, adquirió las herramientas básicas para su futura investigación. ¿Lo que más destacaría? «Sin lugar a dudas, el seminario de carrera con Niklaus Lang. Compartió con nosotros la extraordinaria experiencia de su larga carrera. Fue muy inspirador», recuerda Ausra.

Durante este curso en Lucerna también conoció las becas Osteology Research Scholarships. Le fascinó la idea de un entorno en el que pudiera aumentar su experiencia en las investigaciones clínica y básica contando con un tutor. Cuando regresó a Kaunas comenzó inmediatamente con su solicitud. En ese momento trabajaba en la investigación de un gel para el tratamiento de las infecciones tisulares periimplantarias en la Universidad de Ciencias de la Salud de Lituania. Quería completar su año de investigación en Dúseldorf, en el Centro de Medicina Oral e Infecciones Periimplantarias, bajo la dirección de Frank Schwarz, sobre todo porque en ese momento la Universidad Heinrich Heine, a la que pertenece el centro, era la institución líder en investigación de las patologías periimplantarias. Se registró en la Osteology Community Platform, THE BOX, rellenó el formulario de aplicación e hizo clic en «enviar la solicitud».

Investigación, desarrollo y amigos

Mirando hacia atrás, los meses en Dúseldorf pasaron volando, comenta Ramanauskaite. Tuvo la oportunidad de participar en diferentes proyectos de investigación. Estudió los efectos del uso previo de injertos óseos en la eficacia de la terapia de la periimplantitis.

Pero, a pesar de todos estos emocionantes proyectos, fueron las relaciones con las personas las que hicieron del año académico una experiencia completamente novedosa para ella. Trabajar con un grupo internacional de personas afines le abrió nuevos horizontes. Pudo presentar sus proyectos en diferentes eventos e intercambiar información con otros expertos del sector. Echando la vista atrás, «ese año influyó de manera determi-

Tema central: Ausra Ramanauskaite
36 GEISTLICH NEWS 1-2020
Fotografías: Osteology Foundation, Ausra Ramanauskaite

nante en mi desarrollo como investigadora y también a nivel personal», explica Ramanauskaite.

La periimplantitis sigue siendo su pasión

Hoy, Ausra sigue investigando con Frank Schwarz, pero en la Universidad Goethe, en Fráncfort. Ha recibido un Osteology Researcher Grant por su proyecto de investigación, donde estudia la influencia de la terapia antirresortiva en el tratamiento de la periimplantitis. Además, a principios de 2019 fue elegida para el Expert Council de la Osteology Foundation, lo que le permitirá ayudar a dar forma a futuros proyectos de la fundación. «Me gustaría animar a las personas con entusiasmo de nuestro ámbito a aprovechar la ayuda que ofrece la Osteology Foundation. La fundación ha influido de manera determinante sobre mi carrera», afirma mientras mira hacia el puente 25 Abril en Lisboa. Se despide de nosotros y vuelve al bullicio del congreso. Va a moderar la sesión «Cómo tratar la periimplantitis» junto a Frank Schwarz.

Osteology Research Scholarships 2015 – 2019

Datos y cifras

21 becarios investigadores de 15 países

10 centros de estudios

9 tutores

735.000 CHFde beca

Conoce a Miha Pirc – Becada por la Osteology Research

¿Quiere saber cómo es nuestro día a día como becada por laOsteology Research? En los medios sociales de la Osteology Foundation podrá ver un vídeo acerca de los trabajos y la experiencia de Miha Pirc en la Universidad de Zúrich.

@osteologyfoundation

@osteologyfoundation

Osteology Foundation

@OsteologyORG

Editorial

©2020 Osteology Foundation

Landenbergstrasse 35

6002

Lucerne

Suiza

Teléfono +41 41 368 44 44 info@osteology.org

www.osteology.org

37 OSTEOLOGY FOUNDATION

Una charla con Susana Noronha

Usted ha sido copresidenta del Congreso EAO 2019, ¿cuál fue el mayor reto durante la preparación del evento?

Dra. Noronha: (risas) ¡Mi mayor desafío fue, sin lugar a dudas, seguir el extraordinario dinamismo de mi querido amigo Gil Alcoforado, el presidente de EAO Lisboa 2019! También fue complejo promocionar el programa científico entre los dentistas portugueses.

El lema del congreso era «Un puente hacia el futuro». ¿Va a ser muy diferente la odontología del futuro?

¿Muy digital, por ejemplo?

Dra. Noronha: El lema «Un puente hacia el futuro» refleja la convicción de que la implantología dental se encuentra en un periodo de transición. Espero que la odontología futura nos ayude a comprender lo que ya está en nuestras consultas dentales pero todavía no entendemos por completo, por ejemplo, por qué algunos tratamientos funcionan bien en algunas situaciones pero en otras no.

¿Dónde ve el mayor margen para la mejora?

Dra. Noronha: Como periodoncista, creo que hay un largo camino en relación con las complicaciones biológicas alrededor de los implantes dentales. Es necesario mejorar las estrategias terapéuticas y encontrar alternativas.

¿Como salvar más dientes?

Dra. Noronha: ¡Sin lugar a dudas! A nadie se le ocurre cortar un dedo porque tenga un problema, o una oreja. Con los dientes,

siempre estamos dispuestos a sustituirlos. Pero conservar un diente el mayor tiempo posible siempre es mejor. Incluso aunque solo se posponga durante unos años la colocación de un implante.

¿Y qué prácticas de hoy seguirán siendo válidas en los próximos años?

Dra. Noronha: En mi trabajo diario es importante centrarse en la prevención. Creo que es la mejor forma de detectar a tiempo los cambios e implementar las medidas adecuadas para controlar los factores etiológicos conocidos de las enfermedades periodontales y periimplantarias.

El tema central de este número de Geistlich gira en torno a las «medidas preventivas», que incluyen todas aquellas medidas regeneradoras que, sin corregir los defectos, evitan la pérdida de tejido o previenen las complicaciones. ¿Podría ser este el tratamiento regenerador del futuro, medidas preventivas inteligentes en lugar de grandes correcciones de defectos?

Dra. Noronha: Así lo espero. Las medidas y los materiales que nos ayudan a evitar la pérdida de volumen o las complicaciones después de la colocación de un implante son, sin lugar a dudas, buenas opciones. «Prevención» es la palabra clave.

Y la última pregunta. ¿Qué le gusta hacer en tu tiempo libre?

Dra. Noronha: ¡Pasar tiempo con mi familia! Y me encanta leer. Intento leer todos los días, pero no siempre es posible.

La Dra. Susana Noronha estudió odontología en el Instituto de Ciências de Saúde Sul y acabó su máster y doctorado en Periodoncia e Implantes en la Universidad Complutense de Madrid. Es profesora adjunta de Periodoncia y vicecoordinadora del máster en Periodoncia en la Universidad de Lisboa. Es presidenta de la empresa Portuguese Periodontology and Implants Society (SPPI).

38 GEISTLICH NEWS 1-2020
Entrevista
Fotografía: Luís Gomes Entrevista realizada por Verena Vermeulen

Referencias para las páginas 34-35

1 Zadeh HH. Int J Periodontics Restorative Dent. 2011; 31(6):653-60. (Clinical study)

2 Instructions for Use. Geistlich Fibro-Gide® Geistlich Pharma AG, Wolhusen, Switzerland.

3 Data on file. Geistlich Pharma AG, Wolhusen, Switzerland (Pre-clinical study).

4 Thoma DS, et al.: Clin Oral Implants Res. 2012; 23(12): 1333–9. (Pre-clinical study)

5 Thoma DS, et al.: J Clin Periodontol. 2016; 43(10): 874–85. (Clinical study).

6 Thoma DS, et al.: Clin Oral Implants Res. 2015; 26(3): 263–70. (Pre-clinical study).

7 Zeltner M, et al.: J Clin Periodontol. 2017; 44(4): 446–453. (Clinical study)

8 Huber S, et al.: J Clin Periodontol. 2018; 45(4):504512. (Clinical study)

9 Schulze-Späte U, Lee CT. Int J Periodontics Restorative Dent. 2019; 39(5):e181-e187. (Clinical study)

Número 2 | 20

se publicará en julio / agosto de 2020.

TEMA CENTRAL

Evitar la pérdida del diente

> Salvar «los dientes insalvables»: resultados a largo plazo

> Regeneración tisular guiada: conceptos e indicaciones

> Regeneración tisular guiada: métodos mínimamente invasivos

> La evidencia más reciente de la bibliografía científica

39 GENERALIDADES
Editorial ©Geistlich Pharma AG Business Unit Biomaterials Bahnhofstr. 40 6110 Wolhusen, Suiza Tel. +41 41 492 55 55 Fax +41 41 492 56 39 www.geistlich-biomaterials.ch Más información a través de nuestros distribuidores: www.geistlich-pharma.com 602046/2002/en

Turn static files into dynamic content formats.

Create a flipbook
Issuu converts static files into: digital portfolios, online yearbooks, online catalogs, digital photo albums and more. Sign up and create your flipbook.
Geistlich NEWS - VOLUMEN 15, NÚMERO 1, 2020 by Geistlich_Pharma - Issuu