Dr. Dr. Markus Tröltzsch - Ausgedehnter Kieferkammdefekt

Page 1

Dr. Markus Tröltzsch
L E A D I N G R E G E N E R AT I O N Komplexe Augment ation www.geistlich-biobrief.com Dr.
Au sg e d e h n te r Ki e fe r k a m m d e fe k t

Ausgangssituation

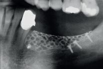
> Bei der Vorstellung des Patienten zeigte sich ein qualitatives und quantitatives Knochen und Weichgewebedefizit im linken Unterkiefer (34 37 )

> Der Zahnverlust lag mehrere Jahre zurück und der Patient wünschte eine festsitzende Versorgung In der radiologischen Diagnostik zeigte sich ein hochliegendes Foramen mentale

Risikoprofil des Patienten

> Für die Augmentation des vertikalen und horizontalen Knochendefekts wurde mit dem Patienten die Durch führung der Yxoss CBR® Technik sowie die Option mit einem autologen Knochenblock diskutiert

> Bei der Aufklärung wurde darauf hingewiesen, dass nach Augmentation und Einheilung der Implantate, eine Vestibulumplastik erfolgen muss

Geringes Risiko Mittleres Risiko Hohes Risiko

Patientengesundheit Intaktes Immunsystem

Starker Raucher Beeinträchtigtes Immunsystem

Ästhetische Ansprüche des Patienten Niedrig Mittel Hoch

Höhe der Lachlinie Niedrig Mittel Hoch Gingivaler Biotyp Dick, Mittel, Dünn, „wenig girlandenförmig“ „mäßig girlandenförmig“ „stark girlandenförmig“

Form der Zahnkronen Rechteckig Dreieckig Infektionen an Implantationsstelle Keine Chronisch Akut

Knochenhöhe am angrenzenden Zahn ≤ 5 mm 5 , 5 6 , 5 mm ≥ 7 mm zum zum Kontaktpunkt zum Kontaktpunkt zum Kontaktpunkt

Restaurativer Status des Nachbarzahns Intakt Geschädigt

Breite der Zahnlücke

1 Zahn ( ≥ 7 mm)

1 Zahn (≤ 7 mm) 2 Zähne oder mehr Weichgewebeanatomie Intakt Komprimiert

Knochenanatomie des Alveolarkamms Kein Defekt Horizontaler Defekt Vertikaler Defekt

„ Ausgedehnte Har t und Weichgewebedefekte können mit autogenen Knochenblocks oder titanverstärkten Barrieren aussicht sreich operier t werden. Aufgrund der größeren Planbarkeit und der Vermeidung des Entnahmedefektes ent schied sich der Patient für das Titangitter.“

Dr. med. Dr. med. dent. Markus Tröltzsch | Arzt & Zahnarzt Fachzahnarzt für Oralchirurgie Facharzt für Mund , Kiefer und Gesichtschirurgie Ansbach, Deutschland

> Präoperativ wurde im Sinne eines Backward Planning erst die spätere Implantatposition und in Kenntnis dieser, die Ausdehnung des Titangitters festgelegt

> Hierbei wurde festgestellt, dass sich zum einen das Foramen mentale direkt im Augmentations und Implantationsbereich befindet und zum anderen der Verlauf des Nervus alveolaris

inferior, trotz Augmentation, nur relativ kurze Implantate zulassen wird

> Bei der digitalen Planung des Gitters wurde dieser Aspekt besonders berücksichtigt und zudem auf die Lage des Foramen mentale speziell geachtet. Das Gitter wurde im Austritts bereich ausgespart, um eine Traumatisierung zu vermeiden.

1

Ausgangssituation & Planung

4

Kieferkammresorption in Regio

Augmentation Komplexe Augmentation

2 | Ausgeprägte, radiologische Inhomogenität des Knochens

3 | Patientenspezifische Anforderungen (z B Foramen mentale) werden für die geplante Knochenaugmentation durch die Customized Bone Regeneration (CBR®) berücksichtigt.

Nach crestaler Schnittführung, vestibulärer und lingualer Abpräparation, vestibulärer Entlastung und Freipräparation des N men talis erfolgte die Periostschlitzung vestibulär

5 | Konditionierung des zu augmentierenden Bereiches mit einem Knochenschaber und kortikalen Bohrungen; Anprobe des passgenauen Gitters

6

Der gewonnene autologe Knochen wurde mit Geistlich Bio Oss® und PRF gemischt, das Gitter damit aufgefüllt und eingesetzt

Vorgehensweise
| Ausgedehnte
34 3 7
7 | Fixierung des aufgefüllten Gitters mit Osteosyntheseschrauben 8 | Ansicht des eingesetzten Yxoss CBR® Gitters 9 | Abdeckung des Gitters mit der GBR Membran Geistlich Bio Gide®
|
|

der schlechten hart und weichgewebigen Grundvoraussetzungen, konnte der Kieferkamm zufriedenstellend rekonstruiert werden

Die Augmentation des kombinierten, horizontalen und vertikalen Defekts mit Yxoss CBR®, Geistlich Bio Oss®, Geistlich Bio Gide®, autologem Knochen und PRF ermöglichte die Implantation mit hoher Primärstabilität in den rekonstruierten Bereich

Geistlich

Implantation:

nach

Ergebnis
7 Monate
Augmentation 19 | Wundverschluss nach Implantation 20 | Wundheilung 1 0 Tage postoperativ 21 | Aufnahme 6 Monate nach Implantation Verlauf des Nervs ca 1 mm unterhalb der Implantate 18 | Abdeckung mit Geistlich Bio Gide® und PRF Matrix > Trotz
In diesem Fall ver wendete Biomaterialien: Geistlich Bio Oss® | 1 2 mm Geistlich Bio Oss® | 0,25 1 mm
Bio Gide® | 30 x 40 mm 10 | Zusätzliche Anwendung von PRF Matrizes auf die GBR Membran Geistlich Bio Gide® zur Unterstützung der Wundheilung 11 | Primärverschluss durch mehrschichtige, spannungsfreie Wundnaht 12 | Verlauf der Wundheilung nach 1 Woche 13 | Radiologischer Befund für die Implantat planung 14 | Freilegung des Gitters durch Schnitt führung in der alten Narbe 15 | Rekonstruierter Kieferkamm nach Gitter entfernung 17 | Implantate in situ mit anschließender Nachkonturierung mit Geistlich Bio Oss® 16 | Ausreichendes Knochenangebot, um Im plantate mit hoher Primärstabilität zu setzen

Das Mini-Webinar zum klinischen Fallbericht mit Kommentaren von Dr. Dr. Markus Tröltzsch

Ihr Schlu

ssel zum Er folg Ausgedehnter Kieferkammdefekt

chirurgisches Weichgewebehandling

Planung und Anfertigung eines individuell passgenauen Titangitters

Biokompatibilität der Geistlich Bio Gide® Membran

Wirkung von Platelet Rich Fibrin (PRF) osteokonduktive Wirkung von Geistlich Bio Oss® prothetisch geplante Implantatposition

w w w.geistlich biobrief.com

̈
Ver trieb Deutschland: Geistlich Biomaterials Vertriebsgesellschaft mbH 7 6 5 3 4 Baden Baden Schneidweg 5 Tel. + 4 9 07 2 2 3 9 6 2 4 0 Fax + 4 9 07 2 2 3 9 6 2 4 10 info@ geistlich de www.geistlich .de Herstel ler : © Geistlich Pharma AG Business Unit Biomaterials Bahnhofstrasse 40 CH 6110 Wolhusen Telefon + 4 1 4 1 4 9 2 5 5 5 5 Tele fax + 4 1 4 1 4 9 2 5 6 3 9 www geistlich biomaterials com B B | 4 0 0 6 | D E | 2 0 1 9 1 1 1 4 5 Yxoss CBR® Hergestellt von ReOss®

Turn static files into dynamic content formats.

Create a flipbook
Issuu converts static files into: digital portfolios, online yearbooks, online catalogs, digital photo albums and more. Sign up and create your flipbook.
Dr. Dr. Markus Tröltzsch - Ausgedehnter Kieferkammdefekt by Geistlich_Pharma - Issuu