Jacksonville Daily Record 9/14/23

Page 1

SEPTEMBER 14 TO SEPTEMBER 20, 2023 | JAXDAILYRECORD.COM BUSINESS & LEGAL NEWS IN BAKER, CLAY, DUVAL, NASSAU AND ST. JOHNS COUNTIES $5000 LIMITED TIME OFFER Annually CALL TODAY 877-231-8834 or email subscriptions@jaxdailyrecord.com Promo Code: JDR50 *Offer available to new customers only. All savings based off the regular rate. * VOLUME 110, NO. 44 | THREE SECTIONS | PUBLISHED SINCE 1912 ST. JOHNS COUNTY 11-hour meeting on Ponte Vedra Club future The Ponte Vedra Zoning and Adjustment Board recommends denial of a request for creation of a Planned Unit Development for the Ponte Vedra Inn & Club. PAGE 16 THE MATHIS REPORT Asian market to renovate former Best Buy space PAGE 14 THE BASCH REPORT Paper and packaging firms say they will merge PAGE 22 GOVERNMENT $464.4 million plan takes a step The proposed retail, apartments and office project would transform five blocks Downtown. PAGE 18 WHAT’S TRENDING A reprieve for Adventure Landing The closure of the Jacksonville Beach water park to make way for an apartment community is delayed again. PAGE 2 INSIDE A DISRUPTIVE SOLUTION HEALTH CARE INNOVATORS Treace Medical Concepts’ procedure corrects a painful foot problem. PAGE 8 Treace Medical Concepts CEO John Treace shows the equipment used to correct bunions.
MORE HEALTH CARE INNOVATORS INSIDE Cadrenal Therapeutics: Vietnam refugee and U.S. Marine developing drug that could prevent heart attacks PAGE 4 Telescope Health: A virtual concierge for patient health care PAGE 6 UF Health Proton Therapy Institute expands PAGE 12 Mayo Clinic opens Downtown research office PAGE 13
Photo by Dede Smith

WHAT’S TRENDING

Gate building station at Glen Kernan Park

Gate Petroleum Co. is building a gas station, convenience store and car wash at Glen Kernan Park, the residential and retail development at northwest Butler and Hodges boulevards, at an almost $5 million construction cost.

The city issued permits Sept. 8 for North Coast Construction Co. of St. Augustine to build the projects at 4740 and 4750 Hodges Blvd.

Jacksonville-based Gate will build a 6,564-square-foot convenience store, fuel canopy and dumpster enclosure at 4750 Hodges Blvd. at a construction cost of $2.87 million.

Adventure Landing will remain open another year

Adventure Landing in Jacksonville Beach won’t be closing at the end of the year after all.

The water park, at 1944 Beach Blvd., announced Sept. 8 it will remain open through September 2024.

The park property is planned for an apartment development by Trevato Development Group and was scheduled to close Dec. 31.

“Adventure Landing is pleased to report that, as of now, a new agreement with the landlord of their Jacksonville Beach location to extend operations

through September 2024,” the company said in a news release.

The apartment project at the Adventure Landing site has been delayed several times. The park originally intended to close Oct. 31, 2021.

Zoning for the project was approved in November 2022 after developers reduced the number of apartments to 415, agreed to provide access to the marsh, allow for a “Welcome to Jacksonville Beach” sign on its property and set aside 30 units for affordable housing.

JACKSONVILLE

Daily Record

121 W. Forsyth St., Suite 150, Jacksonville, FL, 32202 Phone: 904-356-2466, Fax: 904-353-2628 jaxdailyrecord.com

The Jacksonville Daily Record and JaxDailyRecord.com are a division of Observer Media Group Inc. The Daily Record is published 52 times a year in print on Thursdays and at JaxDailyRecord.com seven days a week.

Established in 1912, the Jacksonville Daily Record is Northeast Florida’s newspaper for business leaders. Editorial content focuses on news and trends, with a concentration on development, real estate, construction, law, companies, economic and industry trends and how local and state government affects business. The Jacksonville Daily Record is the leading publisher of public notices in three Northeast Florida counties: Duval, Clay and St. Johns.

Publisher Angie Campbell acampbell@jaxdailyrecord.com

Director of Advertising | Jay Lesowitz jlesowitz@jaxdailyrecord.com

Advertising Coordinator | Codi Gildberg adassist@jaxdailyrecord.com

Legal Advertising Manager | Rhonda Fisher legal@jaxdailyrecord.com

Legal Advertising Associate | Nichol Stringer legal@jaxdailyrecord.com

Network Administrator | Erik Wagner webadmin@jaxdailyrecord.com

Circulation Manager | Diana Ewing subscriptions@jaxdailyrecord.com

Editor Karen Brune Mathis kmathis@jaxdailyrecord.com

Managing Editor | Monty Zickuhr mzickuhr@jaxdailyrecord.com

Associate Editor Legal Affairs | Max Marbut mmarbut@jaxdailyrecord.com

Associate Editor Government Affairs | Mike Mendenhall mmendenhall@jaxdailyrecord.com

Assistant Editor | David Crumpler dcrumpler@jaxdailyrecord.com

Staff Writer | Dan Macdonald dmacdonald@jaxdailyrecord.com

Contributing Writer | Mark Basch mbasch@jaxdailyrecord.com

CEO | Matt Walsh | mwalsh@jaxdailyrecord.com

Publisher Emeritus | James F. Bailey Jr. | jbailey@jaxdailyrecord.com

HOW TO REACH US

EDITORIAL: To submit a news release or editorial inquiry JaxDailyRecord.com/ submit-news-release or email editorial@JaxDailyRecord.com. Article reprints are available at JaxDailyRecord.com

LEGAL ADVERTISING: Submit public notices via email to legal@JaxDailyRecord.com. List the county name in the subject line and attach notice. Deadline 2 p.m. Wednesday.

DISPLAY & ONLINE ADVERTISING: Call 904-356-2466 or email advertise@ JaxDailyRecord.com. Deadline for display advertising is 3 p.m. Thursday.

It will build a car wash, pay station and dumpster enclosure at a cost of almost $2.1 million at 4740 Hodges Blvd.

Gate paid almost $3.77 million for the 2.94-acre site in December 2021.

Glen Kernan Park is an almost 50-acre mixed-use development near Mayo Clinic in Florida. It is across Hodges Boulevard from the Publixanchored Windsor Commons Shopping Center.

Gate is joining developments at Glen Kernan Park that include Culver’s, Slim Chickens, Dunkin’ and an Embassy Suites by Hilton hotel.

Chick-fil-A renovating at Hodges, River City

The city issued a permit Sept. 8 for Chick-fil-A Inc. to renovate its restaurant at 13375 Atlantic Blvd., near Hodges Boulevard.

The contractor for the $783,945 project is HMC Facilities Group LLC of Newnan, Georgia.

Chick-fil-A intends to renovate, change kitchen equipment and perform other work.

Chick-fil-A is renovating existing stores, often increasing drive-thru capacity, and building new restaurants throughout the area.

The River City Marketplace store at 14020 Lunar Drive in North Jacksonville closed Sept. 8 for drive-thru renovations, the company said on social media. It said the work is expected to take two weeks.

Cory named vice president and COO at CSX

CSX Corp. announced Sept. 8 that railroad industry veteran Mike Cory was appointed executive vice president and chief operating officer.

Cory, 61, started his career at Canadian National Railway in 1981, working his way up to executive vice president

HOW TO FIND US

and chief operating officer before retiring in 2019.

CSX also said Kevin Boone, who had been executive vice president of sales and marketing, was named executive vice president and chief commercial officer.

The Jacksonville Daily Record is available by mailed subscription and at newsstands. Subscribe online at jaxdailyrecord.com/subscribe or contact our subscription department by phone at 877-231-8834 or via email at subscriptions@jaxdailyrecord.com

3 years $180 2 years $125 1 year $75 Single copy $1.50

The Jacksonville Daily Record is distributed in key business nodes throughout Northeast Florida. Individual copies are free. To find a location near you, visit JaxDailyRecord.com/rack-locations.

POSTAL INFORMATION

The Jacksonville Daily Record is published weekly by Daily Record & Observer LLC, 121 W. Forsyth St., Suite 150, Jacksonville, FL, 32202. Periodicals postage paid at Jacksonville, Florida, and at additional mailing offices. The Jacksonville Daily Record is circulated in Duval, Clay and St. Johns counties. Under no circumstances will any news or records of Duval County be suppressed for anyone. Information In this publication is for our subscribers only and must not be used by anyone for publication purposes.

POSTMASTER: Send changes of address to the Jacksonville Daily Record, Observer Media Group, 14004 Roosevelt Blvd, Suite 606, Clearwater, FL 33762-9908

PUBLIC NOTICES

The Jacksonville Daily Record meets the legal requirements to publish legal notices in Duval, Clay and St. Johns counties, per F.S. 50.0111(1)(e). USPS Periodicals Permit (190-620)

STATEMENT OF OWNERSHIP

The Jacksonville Daily Record 2022 Statement of Ownership can be accessed at this link.

AUDITOR INFORMATION

Verified Audit 1101 Fifth Ave. Ste, 270 San Rafael, CA, 94901 415-461-6006 www.verifiedaudit.com

2 THURSDAY, SEPTEMBER 14, 2023 JACKSONVILLE DAILY RECORD
STAFF SOCIAL MEDIA facebook.com/ JaxDailyRecord linkedin.com/company/ jacksonville-daily-record
BIG NEWS DOESN’T BREAK JUST ON THURSDAY. HERE ARE SOME OF THE STORIES PUBLISHED AT JAXDAILYRECORD.COM THAT YOU MAY HAVE MISSED.
Special to the Daily Record Adventure Landing at 1944 Beach Blvd. in Jacksonville Beach.
THURSDAY, SEPTEMBER 14, 2023 3 JACKSONVILLE DAILY RECORD 407961-1

Cadrenal Therapeutics: Preventing heart attacks

Quang Pham, CEO of pharmaceutical research firm Cadrenal Therapeutics Inc., was not an expert in medicine.

The Vietnam refugee has an economics degree from UCLA and served as a U.S. Marine Corps helicopter pilot.

But when his father died of a stroke

in 2000, he began thinking about blood clot medications. His father was taking warfarin, a commonly used drug to treat clotting, but Phang wondered if there were more effective drugs available.

“It caught my attention, but I cannot say that’s what killed him,” he said.

Phang’s interest led him to a medication called tecarfarin developed by a University of Florida researcher, and he formed Ponte Vedra Beach-based Cadrenal in 2022 to develop and potentially market the drug as an alternative to other

anticoagulants on the market.

Tecarfarin was invented by UF graduate Pascal Druzgala in the late 1990s, Pham said, but he was unaware of it when his father died.

“I didn’t come across tecarfarin until 15 years later,” he said.

The drug is designed to solve a problem that some patients have with warfarin.

“Tecarfarin potentially provides a more stable anticoagulation than warfarin due to its metabolism, thereby decreasing the risk of stroke and bleeding,” Cadrenal

4 THURSDAY, SEPTEMBER 14, 2023 JACKSONVILLE DAILY RECORD Your Patient Data Deserves World-Class Security. We’re Here to Provide It. Protect + Detect + Respond us.truesec.com • (904) 900-4532 Data breaches and cyber threats are on the rise, and the healthcare sector remains one of the most targeted industries. Truesec is committed to safeguarding Jacksonville’s healthcare community with 24/7 cybersecurity protection. 409713-1 HEALTH CARE
INNOVATORS
Special to the Daily Record
Cadrenal Therapeutics CEO and founder Quang Pham, center, applauds in the closing bell ceremony Feb. 8 at the Nasdaq stock exchange in New York.
The company founded by a Vietnam refugee and U.S. Marine Corps vet is developing a drug that decreases the risk of stroke and bleeding.

HEALTH CARE INNOVATORS

said in an investor presentation.

In 2015, Pham formed a Jacksonvillebased company, which became known as Espero BioPharma after a 2017 merger, to develop drugs including tecarfarin.

However, Espero ran into funding problems when it was preparing to go public in 2018, Pham said.

“The market was just not receptive to a cardiovascular drug,” he said.

Espero’s assets were acquired in 2020 by HESP LLC, a subsidiary of Horizon Technology Finance Corp., but Pham served as a consultant to HESP after the sale.

“I believe in the product so I put a term sheet together and formed Cadrenal,” he said.

Cadrenal acquired the rights to tecarfarin from HESP in April 2022.

Pham, 58, fled Vietnam with his family when Saigon fell in 1975. However, his father, a South Vietnamese Air Force officer, remained behind and was captured by the North Vietnamese.

His father was imprisoned in Vietnam for 12 years before he was able to leave and join his family in California.

Pham moved to Ponte Vedra Beach in 2011 because his in-laws lived there.

“I was very familiar with the area as far as golf, the beach and summer vacations,” he said.

“But I never knew the business side until I started Espero,” he said. Pham decided Northeast Florida was an ideal place to locate a business.

Cadrenal only has three full-time employees. The Ponte Vedra Beach headquarters is a business office but the research for tecarfarin is handled in laboratories elsewhere.

The company went public in January by selling 1.4 million shares of stock at $5 each.

The initial public offering was underwritten by a California firm called

Boustead Securities, which is known for taking small companies public.

Pham said smaller biopharma firms have fallen out of favor on Wall Street but he knew Boustead CEO Keith Moore from his days in California.

“There’s no other underwriter that could have taken us public except Boustead,” Pham said.

Nasdaq supported Cadrenal’s IPO, bringing in Pham to ring the closing bell Feb. 8.

However, with no products on the market and no revenue, Cadrenal’s stock price has dropped since the IPO, and its trading price fell below $1 in late July.

“I think that’s the dynamics of the market,” Pham said.

“Companies are focused on their mission and execution. That’s all we can control,” he said.

“We have a strong balance sheet. We have no debt. Insiders own nearly 50% of the company. We just focus on execution.”

Cadrenal has been developing tecarfarin to treat patients with end-stage kidney disease and atrial fibrillation. It recently said the drug may have additional uses for patients with implanted devices for heart disease.

The company says those uses create a potential market of at least $2 billion in annual sales in the U.S., and Pham hopes investors will see the potential benefits of tecarfarin.

“We prevent heart attacks, strokes and death,” he said.

Pham said Cadrenal is planning clinical trials in humans in 2024, which will move tecarfarin closer to Food and Drug Administration approval.

“We’ve got to show efficacy and safety,” he said.

“We believe it’s there.”

MBASCH@JAXDAILYRECORD.COM

THURSDAY, SEPTEMBER 14, 2023 5 JACKSONVILLE DAILY RECORD AULD & WHITE CONSTRUCTORS PROUDLY PARTNERING WITH NORTHEAST FLORIDA’S HEALTH CARE INNOVATORS Headquartered in Jacksonville for over 35 years, Auld & White Constructors has built long-standing relationships with clients throughout Northeast Florida. By providing open communication, innovative ideas, and diverse solutions in the commercial, public, and healthcare sectors, AWC has become a trusted construction partner helping our clients bridge the gap between dream and reality. BAPTIST MEDICAL CENTER - SOUTH CAMPUS Jacksonville, Florida BUILDING YOUR FUTURE TM CONSTRUCTION MANAGEMENT | DESIGN-BUILD | GENERAL CONTRACTING www.auld-white.com 398617-1
Special to the Daily Record Cadrenal Therapeutics CEO and founder Quang Pham is developing tecarfarin, a drug to treat patients with end-stage kidney disease and atrial fibrillation

Telescope Health: Help to direct patient treatment

Telescope Health combines telehealth with a concierge service to help patients manage health care and costs.

Physicians Matthew Thompson and Matthew Rill founded the Jacksonville company in 2018. Now they have 500 doctors, physician assistants, nurses and paramedics on call to answer health

Jonathan Cantor, AIA, tabbed new Healthcare Sector Leader | Vice President for LS3P’s Jacksonville office

questions, make diagnoses and provide prescriptions over a computer, tablet or cellphone.

There also is a hub of about 30 navigators who facilitate a patient’s needs for obtaining X-rays, blood tests and other lab work, and arrange for treatment by specialists.

“Virtual care is a component of what we do,” said Thompson, Telescope Health CEO.

“But we are really a health care company that specializes in removing barriers.”

Our ability to connect with our clients begins with the team with which we surround ourselves, and I am very excited to be joining such a great group that embraces connectivity to our associates, our clients and our communities.

Telescope Health works with individual patients as well as companies to be an auxiliary health service for insured employees. Companies range from Baptist Health, which has 19,000 employees, to Manifest Distilling, which has 14.

Telescope Health is an affordable option for a small business like Manifest, said President David Cowen.

“It keeps people out of the ER. You can do it from home and get needed prescriptions for the family and kids,” Cowen said.

The 7-year-old distillery signed on

6 THURSDAY, SEPTEMBER 14, 2023 JACKSONVILLE DAILY RECORD
408763-1 HEALTH CARE INNOVATORS
The Jacksonville company says it removes barriers to care and assists patients with appointments, transportation and treatment.
Telescope Health Dr. Matthew Thompson founded Telescope Health in 2018 with Dr. Matthew Rill. “We are really a health care company that specializes in removing barriers,” Thompson said.

HEALTH CARE INNOVATORS

with Telescope Health in 2020. Employees pay $12 weekly and Manifest Distilling pays $288 per enrolled employee annually.

Those patients not affiliated with Telescope Health through an insurance plan can download the app and use it to see a health provider anytime from home. The patient cost is $69 per use.

Soon Telescope Health will offer individual and family memberships. Pricing and details are being developed, Thompson said.

Cost savings come from a patient’s ability to receive care and advice over the app rather than at a hospital emergency room. Even if the patient is insured, such visits can be costly. Thompson said a full emergency room visit in Duval County can cost $5,000.

Urgent care centers are less expensive and most often more appropriate for illnesses and less serious accidents.

Telescope Health navigators will suggest urgent care centers, doctors or specialists in a patient’s area. Working with the patient’s insurance, they may suggest options and quote a price. The patient, not the navigator, decides where the treatment will take place.

“Hey, I found these three different places for you. It’s going to cost less here but it’s a 15-minute longer drive, which one do you want to go to? And then you can make the decision for yourself,” Thompson said.

Like a hotel concierge who can make guest reservations at a busy restaurant or find tickets to a sold-out show, the navigators can work some scheduling miracles, he said.

As an example, Thompson shared the story of a patient who was told a spot detected on a lung during a chest CT scan could be cancerous and there would a three-month wait for a biopsy.

The patient called Telescope Health and navigators arranged the test for that week.

“The biopsy was negative. It was a pneumonia that was residual and just looked like it was cancer,” Thompson said.

“So we saved that person a threemonth time period of thinking that they had cancer, and they were able to get on with their life.”

If a patient does not have transportation to medical treatment, navigators will arrange for a taxi, bus or ride-sharing service to take the client to the doctor’s office.

Telescope Health’s services are varied and continue to expand.

During the coronavirus pandemic, Telescope Health teamed with the city of Jacksonville to operate its COVID testing centers. That helped the company grow through Federal Emergency Management Agency funding.

Manifest Distilling became aware of the company because it supplied hand sanitizer to the test sites.

For the past two years, Telescope Health has received Amazon Web Services Imagine grants. The funds are available to those using technology to solve the world’s most pressing health care

challenges.

It also partners with elderly care centers. Nursing homes often have a limited medical staff. When that staff is off-duty or on vacation, other staffers can use the app to contact a Telescope Health physician. The savings can amount to thousands of dollars by eliminating the need for transportation and an emergency room visit.

The company is also working with nonprofits and homeless shelters to provide care.

Telescope Health will also reach out to employees who have coverage, but haven’t seen a doctor in several years. Navigators explain costs and why a regular checkup is a good idea.

“A patient may say that they haven’t had a checkup in two years and they’ve been trying to get to (their) doctor and they can’t see him. We will put them on with one of our doctors who will do that complete preventative exam,” Thompson said.

“We will identify that you haven’t had a colonoscopy yet. We want to schedule that colonoscopy for you. We identified that you are off your blood pressure med-

ication. We’re going to refill that for you and we want you to do this bloodwork.”

Such preventative care has revealed that the patient has undiagnosed diabetes or is near the onset of a chronic ailment, Thompson said.

“That’s direct to consumer. You know, we have always offered that, but it’s not our focus. There are a lot of big players out there that offer direct-to-consumer telehealth, you know, Teladoc and Doctor on Demand,” he said.

It has recently teamed with Accresa, which will serve as the enrollment, eligibility and processing platform. Plans are to start with Florida companies and expand as an option for more than 55,000 employer groups, Telescope Health said in an Aug. 29 news release.

“We wanted to be much more targeted and specific and focus on improving outcomes for large groups, and that’s kind of why we focused on the (business-tobusiness) side,” Thompson said. DMACDONALD@

THURSDAY, SEPTEMBER 14, 2023 7 JACKSONVILLE DAILY RECORD 398990-1
JAXDAILYRECORD.COM 904-356-2466
A Telescope Health flow chart showing how the online service works.

Treace Medical Concepts: New way to correct bunions

Eight years after Treace Medical Concepts Inc.’s surgical procedure to treat bunions was first used, the Ponte Vedra-based company continues to grow.

The company projects 2023 revenue of $191 million to $197 million, a gain of 35% to 39% from last year, but CEO John Treace says that only scratches the surface of its potential.

“As of the second quarter of 2023, we have penetrated approximately 6.2% of the estimated 450,000 annual surgical bunion procedures in the U.S., up from 4.6% in the second quarter of 2022, and reflecting approximately 2.5% market penetration of the estimated 1.1 million annual U.S. surgical candidates that constitute our $5 billion plus total addressable market in the U.S.,” Treace said during the company’s second-quarter

conference call with analysts in August.

A bunion is described by the American Academy of Orthopaedic Surgeons as “a painful bony bump that develops on the inside of the foot at the big toe joint.”

Treace Medical was formed to develop and market a procedure to treat bunions called Lapiplasty.

“Our disruptive Lapiplasty solution was specifically developed to correct the

root cause of the bunion and address a large and underserved market,” Treace said.

He said Lapiplasty improves on other bunion treatments “by surgically correcting all three planes of the bunion deformity and securing the unstable joint, thereby addressing the root cause of the bunion.”

With a large potential market, Treace

believes the company’s focus on bunions is an advantage.

“We have a highly specialized team at Treace, including a rapidly growing direct sales force, one that is 100% focused on bunion and related midfoot surgery, and the only such organization that we’re aware of in the U.S. medtech industry,” he said.

“We believe this has contributed

8 THURSDAY, SEPTEMBER 14, 2023 JACKSONVILLE DAILY RECORD HEALTH CARE INNOVATORS
Photo by Dede Smith Treace Medical Concepts Inc. CEO John Treace’s company developed the Lapiplasty procedecure to correct foot problems called bunions. Treace Medical has 49 U.S. patents for its surgical procedures and 72 patent applications pending, he said. Photo by Dede Smith In July 2022, Treace Medical moved into a new 125,000-square-foot headquarters building in Nocatee called Park Place One.
CEO John Treace says the company’s Lapiplasty solution to the painful foot condition has only scratched the surface of a more than $5 billion market.

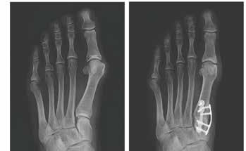
A before and after X-ray of a foot bunion treated with the Lapiplasty procedecure.

meaningfully to our revenue (growth) and market penetration.”

Treace Medical has 49 U.S. patents for its surgical procedures and 72 patent applications pending, he said.

“We have an R&D team committed to driving innovation to maintain our industry leadership with programs for both next generation bunion correction systems, as well as the development of new complementary technologies addressing other bunion-related pathologies, and IP (intellectual property) defense of our technology and innovations,” Treace said.

One of the complementary technologies is a midfoot correction system called Adductoplasty which Treace Medical introduced in late 2021.

Treace said the midfoot issues affect about 30% of bunion patients.

“Our customers tell us that they could foresee at some point in time using it (Adductoplasty) on half of those, so 15% of their Lapiplasty cases,” he said.

Treace Medical acquired the assets in June of a company called Redpoint Medical 3D, which surgeons can use for pre-operative patient-specific

instrumentation for bunion and midfoot procedures.

Treace Medical went public in April 2021 with an initial public offering of 11.25 million shares of stock sold for $17 each.

To accommodate its growth, Treace Medical moved in July 2022 into a new 125,000-square-foot headquarters building in Nocatee called Park Place One.

The company moved about 125 of its 350 total employees into the headquarters. A year later, its work force has grown to about 470 employees, with 150 in the headquarters building.

Treace Medical is not expected by analysts to be profitable for at least a couple of more years, but CEO Treace said the most recent financial results show the company is on the right path.

“We continued to execute on our strategic plan, resulting in sustained strong revenue growth, encouraging adjusted EBITDA progress, and continued gains across our key operating metrics, reaffirming once again that we have the right strategies in place to expand the market penetration of our differentiated technologies,” he said.

MBASCH@JAXDAILYRECORD.COM

Solutions to Move Your Business Forward.

THURSDAY, SEPTEMBER 14, 2023 9 JACKSONVILLE DAILY RECORD 1325 Hendricks Ave. • Jacksonville, FL • 904.348.3100 1210 King Street • J acksonville, FL • 904.301.2144 7077 Bonneval Rd. • Jacksonville, FL • 904.345.4802 3293 Hodges Blvd. • Jacksonville, FL • 904.223.4201 1440 Kingsley Ave. • Orange Park, FL • 904.541.3900 SouthStateBank.com/Commercial • Member FDIC
first.
you
to
your
400735-1 HEALTH CARE INNOVATORS
At SouthState, our focus is on our customers
Whatever
success
looks like to you, we’ll make sure you have what
need
continue
to grow, drive more
efficiency and effectively manage risk. As
trusted financial partner, we’re committed
to
providing
enhanced
capabilities, specialized solutions and innovative digital banking technology to help move your business forward.
Photo by Dede Smith Treace Medical Concepts Inc. CEO John Treace with models of the devices used in the Lapiplasty procedure to correct foot problems called bunions. Treace Medical Concepts

Organizations in strategic partnership for cancer care

managers,” the release said.

“CSNF brings a unique, holistic approach to our partnership, ensuring patients are physically, mentally and emotionally supported.”

They also focus on the office experience for patients and bringing care close to patients’ homes, Abubakr said.

Ascension St. Vincent’s and Cancer Specialists of North Florida announced a strategic partnership Sept. 5 that will make Cancer Specialists the preferred provider for cancer care at all Ascension St. Vincent’s hospitals. Ascension St. Vincent’s has four hospitals in Northeast Florida and is one of the area’s largest health care systems in the region.

Cancer Specialists of North Florida is the largest cancer treatment provider in Northeast Florida, according to a news release.

The doctor-run practice has 13 locations in the region, including offices at or near each of Ascension St. Vincent’s campuses.

The partnership will help ensure patients can conveniently access quality cancer care, said Don King, president and CEO of Ascension Florida and Gulf Coast.

It also helps coordinate care.

It means “more alignment of care and more navigation of care for the patient,” said Dr. Yousif Abubakr, board president of Cancer Specialists of North Florida. The practice offers “comprehensive services, including medical and radiation oncology, clinical research, licensed clinical social workers, registered dietitians, financial counselors, patient navigators, and nurse case

“In terms of access, partnering with someone who is already proven in this field is ideal, rather than starting from scratch. They have a terrific reputation for being able to do that,” King said.

Abubakr said the organizations share a mission to “treat people in the community, irrespective of who they are” and whether they are insured, underinsured or lack health insurance, he said.

“We are here to treat whoever comes through the doors. We are very humbled that we are chosen as a partner, and we don’t take it for granted,” he said.

The four Ascension St. Vincent’s hospitals in the region are Ascension St. Vincent’s Riverside; Ascension St. Vincent’s Southside; Ascension St. Vincent’s Clay County; and Ascension St. Vincent’s St. Johns.

Cancer Specialists of North Florida has offices in Baker, Clay, Duval, Flagler and St. Johns counties.

It recently opened an office in Ascension St. Vincent’s St. Johns, and is building-out a radiation oncology center at Ascension St. Vincent’s Riverside. The completion target date is summer 2024.

DCRUMPLER@JAXDAILYRECORD.COM

WHAT THEY’RE WORKING ON

Northeast Florida hospitals share some of their current projects:

BAPTIST HEALTH

Heart Rhythm Center: In March 2023, Baptist Health opened a Heart Rhythm Center, the region’s first facility of its kind. The Heart Rhythm Center is a comprehensive, hospital-based destination for caring for the heart’s electrical system, a special field of cardiology called electrophysiology. The 14,400-square-foot center includes 10 patient rooms with a view of the St. Johns River and three hybrid operating rooms equipped with imaging and surgical technology.

Familial Brain Aneurysm Study: Over the past year, Baptist Health recruited more than 500 patients for its research study funded by the state of Florida to assess the hereditary probability of brain aneurysms. The study is intended to help researchers determine to what extent a family’s history of aneurysms can play in determining the likelihood of their occurrence in later generations. The findings may be used to advance the use of screening during routine medical exams and finding alternatives for screening options in patients who may be at risk.

MAYO CLINIC

Immunotherapy: Mayo Clinic in Florida is developing cellular therapies to provide new cures for patients. Its new biomanufacturing facilities support clinical-grade manufacturing of advanced cellular therapies, for example engineered stem cells and tissue engineering products. Dr. Hong Qin, director of Regenerative Immunotherapies, developed the first proprietary CAR-T cell therapy that will be manufactured in the facility. CAR-T therapy is used to destroy certain cancers.

Carbon Treatment: The Integrated Oncology Building will be the first U.S. hospital-based heavy ion (carbon) treatment facility when it opens in 2026. In collaboration with Cosylab, Mayo Clinic is developing an adaptive patient treatment planning system that enables realtime adjustments to patient treatment plans, saving time and increasing efficiency.

HCA FLORIDA ORANGE PARK

New facilities: Over the past couple of years, HCA Florida Orange Park Hospital has invested more than $220 million to expand capacity and elevate its services. It recently completed the five-story, 96-bed East Tower expansion that houses rooms for medical and surgical patients, as well as areas for outpatient testing, imaging services and patient registration. The hospital also opened an additional 20-bed Intensive Care Unit. Upcoming projects include a 22-bed Inpatient Rehabilitation Unit expansion, construction of an Interventional Radiology Suite and an increase of its Cardiovascular Care capabilities. The hospital also is upgrading its MRI machine and adding a scanner, purchasing two CT machines and opening two fluoroscopy rooms.

Treatment first: Neurosurgeon Dr. Michael Horowitz is the first in North Florida to complete a rare treatment available for brain cancer patients. GammaTile Therapy, a surgically implanted radiation therapy, is the insertion of tiny tiles into the brain to delay the regrowth of a brain tumor. The small tiles provide targeted radiation, limiting the damage to healthy tissue surrounding the cancer.

10 THURSDAY, SEPTEMBER 14, 2023 JACKSONVILLE DAILY RECORD 15+ years of proven experience
your
Kitchens + Bathrooms and More... We have been supplying communities with cabinetry for projects of all sizes since 2006, from single family home remodels, to new construction of multi-family apartment complexes. www.dlcabinetry.com • (904) 723-1061 3251 Newell Blvd, Jacksonville, FL 32216 408959-1 HEALTH CARE INNOVATORS
Find the perfect cabinets for
home
The agreement between Ascension St. Vincent’s and Cancer Specialists of North Florida is designed to increase convenience, alignment and navigation for patients.
Abubakr Special to the Daily Record Cancer Specialists of North Florida has 13 locations in the region, including the Mary Virginia Terry Cancer Center at Ascension St. Vincent’s Riverside. King
THURSDAY, SEPTEMBER 14, 2023 11 JACKSONVILLE DAILY RECORD PRIMARY CARE WITHOUT THE HASSLE Receive the care you deserve when and where you need it. More time with your doctor at every appointment Preventative and chronic care management Same-day urgent care appointments 2 Convenient Locations 8075 Gate Pkwy W, Ste 302 Jacksonville, FL 32216 10920 Baymeadows Rd, Ste 1 Jacksonville, FL 32256 Silvia Abreu Read, M.D. www.getvipcare.com 404239-1

UF Health Proton Therapy Institute expands

The cancer treatment facility in Springfield is accredited by the American College of Radiology.

The University of Florida Health Proton Therapy Institute completed the installation of a dedicated nozzle in an original treatment room that delivers pencil beam scanning to cancer patients.

A Sept. 7 news release from UF said the reopening of the treatment room is the third and final phase in a $44 million expansion and upgrade project that began in 2016.

“The reopening of the fifth treatment room and offering pencil beam scanning in multiple treatment rooms puts us at the forefront of proton therapy and particle delivery,” Dr. Nancy Mendenhall, medical director of the UF Health Proton Therapy Institute, said in the release.

“We are able to optimize treatment delivery for each patient and customize it for the best results.”

The facility, at 2015 N. Jefferson St. in Springfield, now can treat 25% more patients, according to the release.

The UF Health Proton Therapy Institute has two cyclotrons, offering both double scattering and pencil beam scanning tech-

nologies, enabling the facility to target tumors precisely while causing less damage to the healthy tissue surrounding the tumor.

During treatment, radiation is deposited layer by layer, conforming the dose to the specific shape of the treatment area and destroying cancer cells while preserving uninvolved tissue and

organs near the cancer. Previous phases of expansion include upgrades to the treatment rooms; a new proton therapy imaging system and new treatment planning software; a 10,000-square-foot expansion; and installation of the compact, single-room proton therapy system, ProteusOne, with treat-

ments starting in December 2019.

The UF Health Proton Therapy Institute is a nonprofit affiliated with the University of Florida College of Medicine and the UF Health Cancer Center.

It is a radiation oncology facility accredited by the American College of Radiology. The facility provides conventional radiation

The University of Florida Health Proton Therapy Institute has two cyclotrons, offering both double scattering and pencil beam scanning technologies, enabling the facility to target tumors precisely while causing less damage to the healthy tissue.

University of Florida Health

and proton therapy and delivers proton therapy to 100 patients a day. More than 11,000 patients from all 50 states and 34 countries have been treated there since it opened in 2006.

MMARBUT@ JAXDAILYRECORD.COM

904-356-2466

12 THURSDAY, SEPTEMBER 14, 2023 JACKSONVILLE DAILY RECORD HEALTH CARE INNOVATORS You have SAFETY questions. We have SAFETY answers. 1725 Art Museum Drive, Jacksonville, Florida 32207 Bilingual Saftey Training: Starting October 1st, 2023 Forklift (PIT), Aerial Lift, First Aid/CPR/AED/BBP, OSHA 10, Fall Protection, and Confined Space Member Review: “Our Employees needed to be certified for a job site. The Northeast Florida Safety Council scheduled a training class quickly and we were able to meet our safety requirements!” - Sunbelt Rentals 904.399.3119 communications@nefsc.org www.nefsc.org/safety-training/ 393239-1 Clearwave Fiber Internet service plans feature unlimited data with no data caps and no overage charges. Intentional speed reductions may be triggered at the customer-level when an individual customer drives network congestion that negatively impacts other customers. Service not available in all areas. Broadband speeds may not be available in all areas, are not guaranteed, are subject to a number of factors and are measured via direct connection (not via Wi-Fi). ©2023, Clearwave Fiber LLC; logos are registered trademarks and as such, protected property of their respective companies; all rights reserved. CLEARWAVE FIBER QUARTER PAGE VERTICAL 100% Fiber. 100% For Your Business. bit.ly/Fiber4Jax Our local team will customize a plan to optimize your Internet performance while maximizing your bottom line. Connect with your local team today! 904-692-7790 Jacksonville-daily-082523.indd 5 8/26/23 10:01 AM 403715-1

HEALTH CARE INNOVATORS

Mayo Clinic in Florida opens Downtown office for education, research

The ground-floor space in the Ed Ball Building at 214 N. Hogan St. does not offer medical care.

Mayo Clinic in Florida announced Sept. 12 it has opened the Community Health Collaborative in the city-owned Ed Ball Building Downtown.

The almost 3,100-square-foot office is on the ground floor at 214 N. Hogan St. where VyStar Credit Union vacated.

The site will not provide medical care.

Mayo said in a news release the office aims to understand the health care needs of “Mayo Clinic’s neighbors and share health education and biomedical research that supports their needs.”

Mayo Clinic in Florida’s campus is at 4500 San Pablo Road S. in South Jacksonville.

“Expanding Mayo Clinic’s footprint into downtown Jacksonville with a dedicated space for community engagement and Mayo Clinic research teams allows us to fully explore innovative solutions that address the communities’ most pressing health issues,” said Dr. Kent Thielen, CEO of Mayo Clinic in Florida.

A sign in the office also references the Mayo Clinic Center for Health Equity and Community Engagement Research.

Mayo said the office has dedicated areas for community health education, clinical trial participation, outreach and more.

“The Community Health Collaborative is a positive step toward addressing health disparities and building health equity in our community,” said Folakemi Odedina, enterprise co-director of Health Equity and Community Engagement Research.

“Using an approach that meets people where they are, the downtown site will serve as a ‘hub’ where we’ll work with community organizations and others throughout the city for the health of the people.”

Dr. Alfredo Quiñones-Hinojosa, dean of research at Mayo Clinic in Florida, said Mayo will “bring our local community in downtown Jacksonville expanded access to everything Mayo Clinic research offers to help improve health outcomes.”

“We’re working with our neighbors to collaborate on research studies that directly address the needs of the community and help us discover more possible treatments and cures,” QuiñonesHinojosa said in the news release.

Mayo said the Community Health Collaborative will offer:

MAYO CLINIC COMMUNITY ENGAGEMENT STUDIOS

The Community Engagement Studios program helps researchers work directly with community members. Community experts sign up to participate and meet virtually with Mayo Clinic researchers to provide consultation, guidance and advice on reaching community members.

It said the benefits are mutual as researchers gain specific insights and community members learn about research that may affect them and others with similar experiences.

MAYO CLINIC COMMUNITY RESEARCH REGISTRY

The registry is a database of diverse people who have consented to be contacted for biomedical research opportunities including clinical trials and bio-

specimen research.

The goal is to reduce the disproportionate effect of disease in racially and ethnically diverse communities. About 250 members of the Jacksonville community are enrolled in the registry.

COMMUNITY SCIENTISTS PROGRAM

This program is made up of “community scientists,” or community members who collaborate with medical researchers to improve the health of those in their communities.

Members participate in activities such as providing input on study designs, reviewing study recruitment materials for cultural appropriateness and giving community presentations to advocate for research.

The program supports biomedical research advocates in local neighborhoods and helps them build trust between Mayo Clinic and their neighbors.

COMMUNITY-ENGAGED RESEARCH ADVISORY BOARDS

Community Advisory Boards are groups of community members who volunteer to consult with researchers.

Board members are from a variety of backgrounds, meet regularly and have broad scientific and local cultural knowledge.

Board members also may work with community partners to develop activities to address community health needs.

HOURS AND ACCESS

The office is open 8 a.m. to 5 p.m. Monday-Friday.

Mayo said community members can walk into the center to access Mayo Clinic health and wellness information; participate in community health events; learn more about Mayo Clinic outreach events happening throughout Northeast Florida; and learn more about opportunities to participate in research studies.

Community members will need to make an appointment to enroll in studies that are at the center, speak with outreach or research staff, or participate in other research-related activities.

MORE BACKGROUND

The Mayo.edu site says the Center for Health Equity and Community Engagement Research focuses on disparityrelated health promotion and disease prevention in areas including cancer, cardiovascular disease, metabolic illness and more.

It says the center has active researchers, community advisory boards and community engagement projects at Mayo Clinic’s campuses in Arizona, Florida and Minnesota.

Mayo.edu says the Center for Health Equity and Community Engagement Research at Mayo Clinic “catalyzes research that generates, disseminates and translates best practices in improving the health of communities and eliminating disparities in preventable illness and death.”

THE OFFICE SPACE

The city issued a building permit March 29 for Warden Contracting Corp. of Jacksonville to convert the former VyStar space at a cost of $395,709. Jacksonville City Council approved the lease and parking agreement with Mayo Clinic in April 2022 for a “general office use, administrative and clinical research purposes” at the Ed Ball Building.

The lease is valid for five years from March 15, 2022, to March 14, 2027.

Supporting strong communities through projects and partnerships

Growth is no stranger to northeast Florida. While the region has historically been an area of expansion, its recent population explosion is unprecedented. According to the U.S. Census Bureau, the area’s population growth has outpaced the rest of Florida, with rates between 14% and 21% over the last decade. That’s nearly double the growth rate for the country.

With this increase in population comes increased demand for services and facilities that support community members, their quality of life, and the local economy.

“Jacksonville and its surrounding areas have a deep need for professionals who can strengthen and build up our communities through visionary work, innovation, and leadership,” said Jeff Blount, chief operating officer of Meyer Najem Southeast. “Since our founding more than 35 years ago by Anthony Najem and Karl Meyer, Meyer Najem has prioritized strengthening communities. When Meyer and Najem started their company, their vision was to contribute far beyond constructing buildings.”

The Meyer Najem team feels that being part of the Jacksonville community means contributing on multiple levels, from the type of quality work they build to how they give back to local charitable and nonprofit organizations that advance the common good.

“When communities grow, it increases the need for municipalities to provide core services and facilities for health care, parks and recreation, public safety, and education,” Blount said. “We enjoy the fulfillment that comes from working on these types of projects.”

In the Jacksonville area, those projects include Veterans Affairs facilities. Meyer Najem constructed the first VA Outpatient Clinic in Jacksonville and is in the process of building the second.

“I consider the VA clinics to be some of the most meaningful work that we have ever done,” said Najem, Meyer Najem’s chief executive officer. “It is an honor to serve those who have dedicated their lives to our country. Our business is built on integrity, fairness, and honesty—qualities at the foundation of every project.”

The Meyer Najem team also appreciates the opportunity to build the critical spaces that support the police and fire department personnel who protect and serve, schools that educate future generations, and campuses that house senior citizens. Through engagement with municipalities, local governments, and organizations, Meyer Najem focuses on bringing creative ideas to the table that help clients meet their goals, whether it’s working on a Public-Private Partnership or introducing the latest in technology to their projects.

“The company’s pledge has always been serving those who make communities great and helping local leaders see the vision for what the future can be,” said Ryan Soots, Meyer Najem Southeast’s executive vice president. “We’re committed to helping our customers by working together with equal parts humility and ambition. We want every person at Meyer Najem, and every person who steps onto a Meyer Najem site, to truly believe they are contributing to something extraordinary.”

Learn more about how Meyer Najem’s work supports their communities.

THURSDAY, SEPTEMBER 14, 2023 13 JACKSONVILLE DAILY RECORD
CONTENT www.meyer-najem.com
SPONSORED
398715-1
KMATHIS@JAXDAILYRECORD.COM

Lotte Plaza Market preparing to renovate former Arlington Best Buy

tal Home roads, about 5 miles southwest of the Lotte Plaza Market.

Lotte Plaza Market, a chain of Asian grocery stores, is preparing to convert the closed Best Buy it bought in the Regency area of Arlington in January 2022.

It would be the Marylandbased company’s third Florida store. It opened in Orlando and is hiring for a Tampa location.

It has 14 stores in Maryland, Virginia, New Jersey and Florida with a goal of opening 50 Lotte Plaza Market locations by 2030.

The city is reviewing a permit application for the renovation of the 45,799-square-foot Best Buy on almost 3.4 acres at 9355 Atlantic Blvd.

While the intake job cost is listed at $7 million, that will be updated as the contractor is identified and plans approved.

Casco of St. Louis is the architect and engineer.

Plans show interior and exterior renovations.

Inside, plans show grocery, meat, seafood and produce areas and at least seven food vendor stations and a food court area.

There also is space for a bakery.

Best Buy closed the store in March 2021. It was built in 1999.

SW Jacksonville LLC, led by Maryland-based Sungwon Distributor LLC agent Sang Lee, bought the property Jan. 13, 2022.

Sungwon Distributor LLC is based in Jessup, Maryland. Sung Lee is the CEO.

Colliers Executive Director Jason Ryals and Senior Associate Gina Kline in Jacksonville represented the seller in the transaction. Ryals said the purchase price was $4 million.

Ryals said SW Jacksonville’s broker was Daniel Lynch III, a partner with Atlantic Retail Properties in West Palm Beach.

The Duval County Property Appraiser assessed the property for tax purposes at $3.5 million for 2022.

Lotteplaza.com says that since 1976, Lotte Plaza Market “has strived to be the premier source for Asian groceries in Maryland and Virginia.”

“Our desire to continuously improve customer relations and contribute to the community we serve has helped us grow from a single store in 1989 to 12 locations throughout Maryland, Virginia, and Florida.”

The site says the company was founded in 1976 and opened in Maryland in 1989.

The website shows six locations in both Maryland and Virginia and one each in New Jersey and Florida. That Orlando store opened in 2019.

THE TAMPA LOCATION

Lotteplaza.com says its Tampa store is coming soon and is hiring.

Thatssotampa.com reported Aug. 29, 2023, that new photos

recently posted in the Tampa Bay Asian Foodies Facebook group show the official Lotte Market signage up at 17605 Bruce B Downs Blvd. Neighborhoodnewsonline. net reported April 17, 2022, that Lotte Plaza Market filed plans with the city of Tampa to renovate a former 49,432-squarefoot Sweetbay Supermarket that will include about 11,000 square feet of storage and cooler space.

The site said Lotte Plaza Market will transform “the inside of the former grocery store into a marketplace that sells Korean, Chinese, Japanese and Vietnamese food items and ingredients, a wide selection of meats and fresh fish and seafood and a huge variety of fruits and vegetables not found at American grocery stores.”

The site said the Lotte Plaza Market will include at least three restaurants in its food court, as well as a bakery and a tea stand.

It said renovations will cost about $4.5 million.

The owners of the chain paid $7 million for the former Sweetbay Market building in January 2021. The Sweetbay building closed in 2013 and had been unoccupied since.

The sizes of the Tampa and Jacksonville stores are similar to those of a Publix Super Market

or a Winn-Dixie.

WHERE LOTTE IS OPENING

Sang Lee registered with the state to do business in Florida.

Lee registered SW Jacksonville LLC in December 2021; SW Tampa LLC in November 2020; and Sungwon Orlando LLC in June 2016.

It appears that it can take several years for the stores to open.

The Orlando LLC was registered in 2016 and the store opened in 2019.

The Tampa name was registered in November 2020, the building purchase made in January 2021 and the plans filed in 2022.

The Jacksonville name, filed in December 2021, came the month before the property was purchased, with plans filed in September 2023.

Sungwon Miami LLC was registered in June 2022, indicating a fourth Florida location.

WHAT LOTTE SELLS

The store offers meats, seafood, produce and specialty products, including packaged teas, sauces and fresh fruits and vegetables.

“All the highest quality groceries and specialty products made in Korea are found inside

Lotte. From noodles and rice to unique cooking ingredients, from snacks to ready-to-eat meals, they have a complete selection of foods and brands for the entire family,” the thatssotampa.com site says.

CEO Sung Lee says on the lotteplaza.com that:

“Our growth in the Korean Industry has reached the limits of the market. To continue our success, we must adapt to a larger base of customers, and meet their diverse needs in the retail market,” he said.

“Technological innovations, customer-centric management policies, and a commitment to continuously adapting our efforts to match customer demand will carry us to the next phase of growth.”

RD INTERNATIONAL

Pending permitting, Lotte Plaza Market would open after RD International, which intends to start operations by year-end or early next year in a renovated Winn-Dixie that closed in 2017 in the Hogan area.

The store is at 7534 Beach Blvd. in the Beach Boulevard Shopping Center near the eastern access to the Hart Expressway.

The center is along Beach Boulevard at Hogan and Paren-

“We are still working on it and still remodeling,” said Irene Zhang, the representative of owner and founder Steven Yuan, on Sept. 5.

She said RD International’s focus is on live seafood, while Lotte is a Korean market that focuses more on groceries.

Both are good for the region, she said.

“It is good because it can educate locals to understand more about the Asian culture and groceries and they can get used to it and buy more,” Zhang said.

Zhang said she and Yuan are now working with the displays and that freezers and the fish tanks are installed.

RD International expects to have a food court with at least 12 vendors, and Zhang said one or two remain available.

The Asian and international supermarket will include fresh produce, a bakery, food-court operators, hot food bar, groceries and – its specialty – 60 fish tanks for live seafood, including lobster, shrimp and crab.

It will be the second RD International Market in the state. The first market, smaller at 11,000 square feet, opened four years ago in Lake Worth. It has 30 tanks for live seafood.

The internationalmarketfl. com site says the Asian and seafood supermarket features fresh and live seafood, fresh produce, meats, a bakery, vegetables and fruits, beef and wine, boba tea, Asian snacks, roast duck and BBQ ribs.

Plans for the Jacksonville market show food-court bays, a seating area, a market main kitchen and grocery shelving, freezers, coolers, a fish tank and fish display area, and sales counters and registers.

Customers can have their seafood cleaned and cooked at the store to take with them or to eat in the food-court seating.

“We have all kinds of seafood, live seafood, fresh seafood, frozen seafood, processed seafood,” Zhang said.

The city issued a permit June 2 for Master Contractors Inc. of Lake Worth to renovate the 52,600-square-foot store at a construction cost of $980,000.

While the store has a strong inventory of Asian food, the goal is to serve an international market.

“There is a large Asian population in Jacksonville,” Zhang said previously, in sharing how they chose the location.

The U.S. Census reports that as of 2022, the Asian population in Jacksonville is estimated at more than 47,500, or 4.9% of the city’s population. That is up 35% from 35,200 in 2010.

While there are smaller Asian and international groceries, there is no large one with a wide selection of live seafood, she said.

“Jacksonville is a big city,” she said, and the Beach Boulevard address is conveniently located.

14 THURSDAY, SEPTEMBER 14, 2023 JACKSONVILLE DAILY RECORD THE MATHIS REPORT
| 904-356-2466
The Maryland-based Asian grocery chain bought the Atlantic Boulevard store in 2022. Lotte Plaza Market The Lotte Plaza Market in Sterling, Virginia, opened in May. The chain has 13 stores in four states. File photo Lotte Family Market plans to renovate the closed Best Buy at 9355 Atlantic Blvd.

Top commercial sales of the week

FROM STAFF

Here are the top 10 commercial real estate sales in Northeast Florida, comprising Baker, Clay, Duval, Nassau and St. Johns counties. The sales were recorded Sept. 4-10, 2023.

DUVAL

$64,003,178

12200 Presidents Court, Jacksonville

Type: Warehouse Parcel size: 68.14 acres

Building size: 773,662 square feet

Buyer: USICV 12200 Presidents Inc.

Seller: 12200 Presidents Industrial LLC

Previous sale: $46,900,000 in 2019

DUVAL

$51,646,821

2300

Hillwood Investment Properties of Dallas paid $115.65 million Aug. 15 for a 1.37 million-square-foot industrial portfolio in West Jacksonville from Invesco Real Estate of Atlanta. They comprise 12200 Presidents Court, far left, and 2300 Pickettville Road

Companies are invited to nominate projects completed the past year in Northeast Florida for the Jacksonville Daily Record’s Cool Construction special edition Nov. 9.

What is a Cool

Construction

project?

It could have a unique design or interesting architectural details. It could be built with sustainable or other materials that set it apart. It could feature inexpensive - or expensive - products that make it stand out among its peers.

It may have overcome a design or some other challenge along the way.

15

NOMINATE YOUR PROJECTS FOR COOL CONSTRUCTION https://www.jaxdailyrecord.com/cool-construction-2023/

To advertise contact Jay or Angie at 904-356-2466 or advertise@jaxdailyrecord.com.

THURSDAY, SEPTEMBER 14, 2023 15 JACKSONVILLE DAILY RECORD
NOMINATIONS
UNTIL OCT.
JaxDailyRecord.com
OPEN
409525-1
Pickettville Road, Jacksonville Type: Warehouse Parcel size: 69.08 acres Building size: 600,657 square feet Buyer: USICV 2300 Pickettville Inc. Seller: 2300 Pickettville Industrial LLC Previous sale: $50,400,000 in 2019 DUVAL $12,341,543 5191 First Coast Tech Parkway, No. 100, Jacksonville Type: Centurion Surgery Centers office condominium Condo size: 19,447 square feet Buyer: Viper JTBK ASC LLC Seller: Viper Ventures LLC ST. JOHNS $9,815,533 235 Beachwalk Shore Drive, Saint Johns Type: Beachwalk commercial Parcel size: Not available Buyer: US Stable P2 235 Beachwalk Shore Drive St Johns LLC Seller: PSP Beachwalk LLC DUVAL $7,758,456 5191 First Coast Tech Parkway, No. 300, Jacksonville Type: Jax Spine & Pain Centers office condominium Condo size: 14,368 square feet Buyer: Viper JTBK 300 LLC Seller: Viper Ventures LLC NASSAU $3,250,000 Golden Glow Drive, Fernandina Beach Type: 23 residential lots in Amelia National Phase One-C, Segment Three and Phase One-E Parcel size: Not available Buyer: Riverside Homes of North Florida Inc. Seller: FF Florida Residential LLC DUVAL $3,000,000 1230 E. Seventh St., Jacksonville Type: Eastside Terrace apartments Parcel size: 1.21 acres No. of units: 48 Buyer: Elizabeth I Homes LLC Seller: Eastside Terrace LLC Previous sale: $888,000 in 2022 DUVAL $2,663,551 400 S. Third St., Jacksonville Beach Type: Wendy’s Parcel size: 0.55 acre Building size: 3,004 square feet Buyer: Velasco LP Holdings Inc. Seller: WEN South LLC Previous sale: $817,500 in 2018 ST. JOHNS $2,200,000 103 and 107 A St., St. Augustine Type: Multifamily Parcel size: 0.35 acre No. of units: 4 Buyer: Darren Rodgers Seller: TBL Investment Properties Inc. Previous sale: $1,650,000 in 2022 DUVAL $2,033,000 Normandy Boulevard, Jacksonville
Planned residential Parcel size: 9.33 acres Buyer: Pulte Home Co. LLC Seller: Urban Partners LLC
sale:
Type:
Previous
$935,000 in 2022

ST. JOHNS COUNTY

Zoning and Adjustment Board recommends denial of PUD for Ponte Vedra Inn & Club

19-by-9. The panel also discussed the need for a mix of larger spots to accommodate today’s oversized trucks and SUVs as well as saving space with smaller spaces for compact cars.

After an 11-hour meeting, the Ponte Vedra Zoning and Adjustment Board voted Sept. 11 to recommend denial of a request for creation of a Planned Unit Development for the Ponte Vedra Inn & Club and The Lodge & Club, which is seeking to renovate its properties.

The recommendation for denial passed 4-3 with Megan McKinley, Richard Ensslen, Anthony Peduto and Jane Rollinson voting for the denial. Members John Patton, Samuel Crozier and Chip Greene voted to recommend approval.

After handling two private homeowner petitions, the sevenperson advisory board went over point-by-point the 31 waivers that Gate Petroleum, the resort owners, are seeking in the PUD, which determines how properties can be built.

Ellen Avery-Smith of Rogers Towers was the lead attorney presenting for Gate.

She led a team of architects, planners and builders who presented the company’s case.

The Ponte Vedra Inn & Club is at 200 Ponte Vedra Blvd. and The Lodge & Club is at 607 Ponte Vedra Blvd. along the Atlantic Ocean.

The vote is not binding. It is a recommendation that will be part of the presentation heard by the St. Johns County Planning & Zoning Agency at 1:30 p.m. Sept. 21 at the St. Johns County Auditorium at 500 San Sebastian View in St. Augustine.

The Planning & Zoning Agency also will make a nonbinding recommendation on the PUD that will be part of an information package voted on by the St. Johns County Commission at a meeting scheduled Nov. 7.

On Sept. 6, the Ponte Vedra/ Palm Valley Architecture Review Committee recommended approval of the architectural components of Gate’s projects.

The committee also approved architectural plans for a new fit-

ness center and Surf Club.

However, the Architecture Review Committee did not recommend the Unified Sign Plan because it was incomplete.

Despite the Zoning and Adjustment Board denial, Gate President John Peyton was optimistic about the results.

“We had 29 out of 31 waivers pass. I think that is a healthy result for us,” he said.

“We have taken into account the suggestions to make this project better. We appreciate everyone’s passion and concern for this property.”

The resort is seeking a PUD to bring several of its buildings into code compliance. Some were built before the county created zoning laws.

It also would allow Gate to construct two fitness buildings, move tennis and pickleball courts, and build a new Surf Club and two parking garages.

It also would allow the resort to replace oceanfront hotel buildings with new ones, similar to the Peyton House and Ocean House that opened in 2020, as needed.

The changes are part of a proposed 30-year master plan pre-

sented by Gate.

Peyton addressed the panel at the start of the meeting, emphasizing that the resort properties are not for sale.

He said the facilities need to be updated to stay competitive in the vacation and club marketplace.

Avery-Smith said there would be no residential construction because the PUD pertains to resort and commercial enterprises. There have been neighborhood rumors of residential construction on the golf courses and lagoon.

Throughout the meeting, building heights, placement of a parking garage next to The Carlyle condominiums and the size and quantity of parking spaces were discussed.

Other waivers included signage, architectural elements, trees, liquor sales on resort beach property and other topics.

Waivers 1 and 24 were denied. Both concern building height.

The primary concern in Waiver 1 was the height of the south parking garage next to The Carlyle. The waiver would have limited the height of the parking garage to 38 feet and allowed elevator and stair-

well towers to be as tall as 50 feet as to be less obtrusive to those living in The Carlyle.

Board members also recommended that the parking structure be moved to the south to enable better views for condo owners in The Carlysle. Additional architectural features were requested to disguise the garage’s flat top floor.

There were concerns that if the historic inn was destroyed by natural causes, it could be redesigned and rebuilt to its current 54-foot height.

The motion to deny Waiver 1 was approved in a 5-2 vote.

Waiver 24 sought to allow buildings on the ocean side of Ponte Vedra Boulevard to be more than 35 feet tall. The additional height would have taken into account resiliency concerns for the waterfront structures.

The waiver noted older resort housing buildings in this location are more than 35 feet tall.

The recommendation to deny Waiver 24 passed 4-3.

To create more parking spaces, a waiver was approved to reduce the size of individual spaces from 20 feet long and 10 feet wide to

The PUD had requested that the number of parking spaces increase from 887 at the Ponte Vedra Inn & Club to about 1,200 spots and at the Lodge & Club from 237 to 540. However, the exact number is dependent on final design and contingent on any direction from the county commission, said Misty Skipper, vice president of external affairs at Gate.

Advisory member Ensslen spoke of how parking was a measure of the number of guests, members and staff that needed a place to park. Several times he asked the resort owners for membership numbers from 2017 to the present and projected membership growth for the next five years.

Each time, Avery-Smith told the panel that membership was proprietary information and her client was under no obligation in the PUD request to release it. She said repeatedly that in a PUD application the number of parking spaces is determined by the land development code for uses and square footage, not by the membership roster.

The approval and denial of waivers ended around 10:30 p.m., leaving the board only to vote to recommend the PUD’s approval or denial.

Chair McKinley sided with denial because all of the waivers were not passed.

Greene disagreed, saying a recommendation to approve could be made even with the denial of two waivers.

McKinley insisted all 31 waivers needed to be supported to allow for an approval recommendation.

Greene then asked if all 31 had to pass why did they spend a lengthy amount of time reviewing the other 30 waiver requests when Waiver 1 was rejected at the start?

A motion to recommend PUD approval failed 3-4.

It was followed by a motion to recommend denial of the PUD. It passed 4-3.

DMACDONALD@ JAXDAILYRECORD.COM

16 THURSDAY, SEPTEMBER 14, 2023 JACKSONVILLE DAILY RECORD Blane McCarthy | Neutral PERSONAL INJURY SETTLEMENT CONF. COMMERCIAL PROBATE PRIMARY PRACTICE AREAS JBA PRESIDENT 2023-2024 jacksonvillemediator.com 888.305.3553 ONLINE SCHEDULING CALENDAR FLORIDA SUPREME COURT CERTIFIED CIRCUIT MEDIATOR SINCE 2000 TRANSITIONING TO FULL-TIME MEDIATION
PERSONAL INJURY
★★★★★ CLIENT REVIEW ★★★★★
“You did a great job. Always good to work with someone who has done this work at a high level for a long time and obviously gets the ins and outs of this. You’ll be seeing us more.”
405734-1
- N. JOEL HARRIS, COKER LAW
The resort is seeking to modernize facilities, some of which were built before zoning laws were in place.
Photo by Dan Macdonald A slide shown at the Ponte Vedra/Palm Valley Architectural Review Committee meeting Sept. 6 shows the proposed Surf Club at the Ponte Vedra Inn & Club, part of renovations the resort is seeking.

Bass Pro Shops applies to St. Johns for an Outdoor World store

The development is along World Commerce Parkway near Costco and Buc-ee’s.

Bass Pro Shops applied to the St. Johns County Growth Management Department on Sept. 6 for review of the master development plan for its proposed Outdoor World along World Commerce Parkway.

Bass Pro Shops announced May 19 it plans to open an Outdoor World retail store in St. Johns County in 2024. The address is 655 World Commerce Parkway in St. Augustine.

The retailer proposes to develop a 102,993-square-foot retail store on 18.11 acres it bought May 30 from World Commerce Center L.L.P., led by Jacksonville-based Steinemann-Wolfe L.L.C.

Bass Pro Outdoor World L.L.C., based in Springfield, Missouri, paid $8 million for the property.

RAA Design LLC of Alpharetta, Georgia, and Kinetic Design + Development LLC of Springfield are the project applicants and agents. Contineo Group LLC of Decatur, Georgia, is the civil engineer.

The site is on vacant land along World Commerce Parkway south of Buc-ee’s and Costco Wholesale. It is west of Interstate 95 at the International Golf Parkway exit south of World Golf Village.

Bass Pro Shops said it will be the 13th Bass Pro Shops in Florida and expects to employ more than 115 “outfitters” at the store.

It said in the May news release it “has been searching for the perfect location to serve the greater Jacksonville market, and now with the astonishing growth to the south, into St. Johns County, this 100,000-square-foot location will be convenient and accessible for the entire region for years to come.”

By comparison, the Costco north of the planned Outdoor World is 162,000 square feet.

Bass Pro Shops sells fishing and outdoor gear for activities including hiking, backpacking, wildlife viewing, camping and more. The store will showcase boats, ATVs and side-by-side vehicles.

Plans filed with St. Johns County show a 27,000-squarefoot outdoor showroom and boat display on the eastern side of the 18-acre site next to I-95.

Bass Pro Shops feature an aquarium and water features stocked with native fish species along with “thousands of local antiques and artifacts, hun -

OUTDOOR WORLD SITE PLAN

The St. Johns County Bass Pro Shops Outdoor World includes a 100,000-square-foot main building and a 27,000-square-foot outdoor showroom.

dreds of trophy fish and wildlife mounts, and murals depicting local scenes.”

The locations offer dozens of events throughout the year including hands-on demonstra-

tions and interactive activities.

The company says it was founded in 1972 when Johnny Morris began selling tackle out of his father’s liquor store in Springfield.

The announcement of the St. Johns County store came after abandoned efforts to enter the Northeast Florida market.

KMATHIS@JAXDAILYRECORD.COM

today.

If you value the work we're doing, please consider a making a gift so we can continue to bring you essential reporting every day. Thank you!

THURSDAY, SEPTEMBER 14, 2023 17 JACKSONVILLE DAILY RECORD
day, we deliver intelligent, innovative programming and services that inform, connect, and
Behind the dial, you’ll find a
of individuals who find strength in
We
Every
entertain.
team
our differences. Together, we embrace open minds.
promote intellectual curiosity. It takes all of us. Support WJCT News 89.9
IT TAKES ALL OF US SUPPORT WJCT NEWS 89.9 DURING OUR RADIO PLEDGE! SCAN HERE DONATE TODAY! Scan here or visit WJCT.ORG/RADIO 405468-1 GET YOUR – MEDICAL MARIJUANA –CARD HERE Fast Easy Certification Call now for your FREE pre-evaluation by phone 904 -299 - 5300 10695 Beach Blvd. Jacksonville, FL 32246 CMMDR.COM FREE MARIJUANA DELIVERY Delivered directly to your home or business We provide Medical Marijuana in a variety of forms such as tinctures, pills, pain patches, vapes, concentrates, buds, vape shatter pills, dry flower & much more! You NOW get the dry flower to SMOKE! 389589-1 EXCLUSIVE AGENT Cecil W. Powell & Company Telephone 904-353-3181 | www.cwpowellins.com Agents: Robert Theus, Benjamin K. Powell Account Manager: Annette Evans, Kassandra Sullins Licensed to write Surety Bonds | Ocean Marine & Inland Marine Insurance Surety Bond Solutions Machinery Insurance, Inc. Founded in 1986 Florida Based Rated “B++” by A.M. Best Company Fitzhugh Powell Jr. President, Treasurer & Director Benjamin K. Powell Vice President & Director DIRECTORS & OFFICERS Stephen T. Cumella Secretary, Chairman & Director 398893-1
DEVELOPMENT

CITY GOVERNMENT

Building next to Four Seasons hotel is seeking conceptual design approval

The Marina Support Building along the Northbank Riverwalk includes a restaurant with a neighboring event lawn.

The Marina Support Building, event lawn and restaurant space that is part of Shad’s Khan’s Shipyards project is seeking Downtown Development Review Board conceptual review.

The building at 1406 E. Bay St. would sit west of the Four Seasons Hotel & Residences under construction along the Northbank Riverwalk. The event lawn would be north of the support building south of a planned Class A office building.

There is no street access to the marina structure. It will be via the Riverwalk, hotel, event lawn and office tower.

Plans show a 6,000-squarefoot building that includes a 1,847-square-foot restaurant space with 72 seats. There also are 40 outdoor seats.

Other spaces in the building include office, retail, public restrooms and storage.

The event lawn space is about 16,000 square feet.

The DDRB staff supports conceptual review with conditions, including the developer meeting with staff to identify any

deviations sought, landscaping of a back-of-house equipment enclosure and all site furnishings, hardscaping and landscaping being consistent with the Riverwalk design criteria.

The applicants are attorneys Cyndy Trimmer and Steve Diebenow of Driver, McAfee, Hawthorne & Diebenow.

The project architect is kasper architects + associates. The landscape architect and engineer is England-Thims & Miller Inc.

The DDRB is scheduled to meet at 2 p.m. Sept. 14 in the first-floor Lynwood Roberts Room at City Hall at 117 W. Duval St.

MARINA SUPPORT BUILDING

Plans for the 6,000-square-foot building include a 1,847-square-foot restaurant space with 72 seats. There also are 40 outdoor seats. There is no street access to the marina structure. It will be via the Riverwalk, hotel, event lawn and office tower. North of the building is an event lawn and a new Class A office building.

Four Seasons Hotels and Resorts announced July 25 that the company will flag Jacksonville Jaguars owner Shad Khan’s five-star hotel and residence project on the Downtown Riverfront.

The company said the hotel is anticipated to open in 2026.

A 157,027-square-foot, six-story Class A office building is part of the project and will house the Jacksonville Jaguars’ business staff. Khan is developing the project through his real estate company, Iguana Investments.

MZICKUHR@ JAXDAILYRECORD.COM

$464.4

million ‘Pearl Street District’ in review

The retail, apartments and office project proposed by Gateway Jax could transform five blocks Downtown.

The Downtown Development Review Board is scheduled to conceptually review the proposed Pearl Street District multiphase site plan, comprising five blocks along Pearl Street between Union and Church streets.

The project is better known as Gateway Jax, which is a transformational Downtown development along Union Street with apartments, retail and other uses that would provide a new gateway vista into Jacksonville’s core.

As of May, records showed the transformation could be a $464.4 million project, one of the largest deals ever done on Jacksonville’s Northbank.

A project description says the Pearl Street District “features a mix of buildings with retailactivated, vibrant streetscapes

as well as thoughtfully planned public areas and walkable streets, all within an 18-hour a day environment.”

The site plan outlines Blocks N4, N5, N8, N9 and N11.

They are bordered by Union, Julia, Church and Clay streets and bisected by Pearl, Beaver and Ashley streets.

Plans show Pearl Street would be used as needed as a festival street between Beaver and Ashley.

The blocks are:

N4: A building footprint of 57,300 square feet, bounded by Union, Pearl, Beaver and Clay streets.

N5: An existing parking garage to remain.

N8: A building footprint of 59,100 square feet, bounded by Beaver, Pearl, Ashley and Clay streets.

N9: A building footprint of 21,100 square feet, bounded by Beaver, Pearl and Ashley streets, not including the City Place condominium.

N11: A building footprint of 32,530 square feet, next to the Porter House Mansion, which remains.

The DDRB staff supports conceptual review of the application, 2023-017, with several conditions.

The design team comprises architect Elkus Manfredi; landscape architect Hoerr Schaudt; and engineer England-Thims & Miller Inc.

The Driver, McAfee, Hawthorne & Diebenow law firm is the agent to obtain the DDRB approval for development and related work.

The board is scheduled to meet at 2 p.m. Sept. 14 in the first-floor Lynwood Roberts Room at City Hall at 117 W. Duval St.

The proposed developer, Gateway Jax LLC, is led by Bryan Moll, a veteran of Strategic Property Partners, which is developing the estimated $3 billion Water Street Tampa, a mixed-use waterfront district of 9 million square feet of commercial, residential, hospitality, cultural, entertainment, education and retail space.

Downtown Investment

Authority records show the project could include 1,160 apartments, office and retail space,

along with the lighthouse parking garage previously owned by First Baptist Church.

A preliminary “Pearl Street Incentives Summary” spreadsheet by Gateway Jax dated March 22, 2023, shows potential taxpayer incentives of $135.64 million, covering 29% of the project. The city’s return on public investment is calculated at $1.04 for every $1 invested.

18 THURSDAY, SEPTEMBER 14, 2023 JACKSONVILLE DAILY RECORD
KMATHIS@JAXDAILYRECORD.COM
The site of The Pearl Street District Multi-Phase Plan proposed by Gateway Jax LLC. Marina Support Building Event lawn

FROM STAFF

Here are the top 10 single-family residential real estate sales in Northeast Florida, comprising Baker, Clay, Duval, Nassau and St. Johns counties. The sales were recorded Sept. 4-10, 2023.

DUVAL

$2,175,000

349 First St. S., Jacksonville Beach

Type: Avenue Four condo

Condo size: 3,275 square feet

Buyer: Mary J. and John C. Evans

Seller: John A. and Stephanie J. Lupo

Previous sale: $1,295,000 in 2007

ST. JOHNS

$1,750,000

142 Marshall Creek Drive, St. Augustine

Type: Single-family

DUVAL

$4,200,000

5381 Hala Court,Jacksonville

Type: Single-family

Lot size: 1.57 acres

House size: 9,276 square feet

Buyer: Sasa and Arijana Popovic

Seller: Brian G. and Michele A. Page

Previous sale: $3,845,000 in 2022

About the property: Mediterranean style two-story home in Pablo Creek Preserve. Features four bedrooms, six full and two half-bathrooms, office, theater, wine cellar, recreation room, elevator, summer kitchen, screened pool and patio.

Lot size: 0.83 acre

House size: 5,149 square feet

Buyer: Edward M. Ciesla and Kathleen Spaniak

Seller: Bruce E. and Marilyn

K. Mills

Previous sale: $1,795,000 in 2021

ST. JOHNS

$1,715,000

8119 Seven Mile Drive, Ponte Vedra Beach

Type: Single-family

Lot size: 0.43 acre

House size: 4,807 square feet

Buyer: Andrew F. and Carole

J. A. Peck

Seller: The Samuel L. Bockman Revocable Trust, Kristopher R. and Jennifer

B. Urcan, the Kristopher R. Urcan and Jennifer B. Urcan

CLAY

$1,700,000

1993 Salt Myrtle Lane, Fleming Island

Type: Single-family

Lot size: 0.54 acre

House size: 4,571 square feet

Buyer: Roselawn Trust

Seller: Teri C. and Michael Donohue

DUVAL

$1,625,000

232 Davis St., Neptune Beach

Type: Single-family

Lot size: 0.12 acre

House size: 2,604 square feet

Buyer: Wildredge Holdings

LLC

Seller: David and Jenna C. Tozzi

Previous sale: $800,000 in 2020

ST. JOHNS

$1,575,000

121 Sea Hammock Way, Ponte Vedra Beach

Type: Old Ponte Vedra Beach condominium

Condo size: 1,705 square feet

Buyer: Paul L. Joyce A. K.

Urban

Seller: Rosalyn T. and Jerry B. Puzey and the Rosalyn T. Puzey and Jerry B. Puzey Jr.

Andrew J. Vogelsang

Previous sale: $1,650,000 in 2019

Revocable Trust

Previous sale: $430,000 in 2019

Living Trust

Previous sale: $890,000 in 2020

THURSDAY, SEPTEMBER 14, 2023 19 JACKSONVILLE DAILY RECORD Buddy Schulz Upchurch Watson White & Max | 800-264-2622 | uww-adr.com MEDIATOR | ARBITRATOR • State, Federal and Appellate Courts • Florida Supreme Court Certified Circuit Civil Mediator • 50 years as a trial lawyer in varied cases • Practice areas include: Civil Litigation, Commercial Litigation, Personal Injury/ Wrongful Death, Professional Malpractice, Premises Liability, Insurance Coverage Disputes linkedin.com/company/upchurch-watson-white-&-max www.facebook.com/UWWMMediation @UWWMmediation Dispute Resolution at Jacksonville’s TIAA Building, Online and Throughout Florida 395524-1 12 NIGHTS FROM TOKYO, JAPAN MAY 15, 2024 Book Today! For Booking Contact: John Schmidt 904.234.5488 • info@GoSeaWings.com SeaWings Travel Professionals® • Independently Owned & Operated Affiliated with Cruises & Tours Unlimited - Jacksonville, Florida. •FL Seller of Travel # ST15578 • CA Seller of Travel No. 2090937-50 • WA UBID No. 603189022 • IA Registered Agency # 1202 Call for Special Group Pricing! CELEBRITY CRUISE 392109-1 0% Financing for 12 or 18 months Scan the code to request your appointment ® THE PROMISE THE DIFFERENCE IS ® 4590 CR 218, Middleburg | Lic # CCC1332763 904-701-8120 | CovenantRoofFL.com FREE ROOF EVALUATION & ESTIMATE (*Some restrictions apply) 409733-1 Top 10 home sales of week NASSAU $4,000,000 96314 Glenwood Road, Yulee Type: Single-family Lot size: 18.63 acres House size: 864 square feet Buyer: Erik and Courtney D. Anderson Seller: Benjamin S. and Victoria P. H. Hakimian DUVAL $2,950,000 357 11th St., Atlantic Beach Type: Single-family Lot size: 0.18 acre House size: 3,945 square feet Buyer: Juan C. Martinez Seller: Scott M. and Cynthia M. Sauer and the Sauer 2021 Family Trust Previous sale: $2,925,000 in 2022 DUVAL $2,400,000 6628 Epping Forest Way N., Jacksonville Type: Single-family Lot size: 0.28 acre House size: 6,043 square feet Buyer: Allison A. and Iman Naseri Seller: Connie N. Bertram and

THE WEEK IN DEVELOPMENT

AMUSEMENT, RECREATIONAL

Liberty Square Town Homes, 1908 Allegiance Place, contractor is Pools by John Clarkson Inc., swimming pool renovation, $249,890.

City of Jacksonville, 11950 San Jose Blvd., contractor is Bliss Products and Services Inc., Chuck Rogers Park playground equipment replacement, $160,000.

APARTMENTS

Avia Lofts, 8365 Dix Ellis Trail, contractor is PEG Construction LLC, convert hotel to apartments, $3 million.

Shore House Apartments, 401

Century 21 Drive, contractor is Crystal Clean Repairs LLC, three swimming pool renovations, $390,447.

Point Grand, 11833 N. Main St., contractor is Hillpointe Construction LLC, 12,000 square feet, six new garage buildings, $300,000.

Boat House Apartments, 400

Century 21 Drive, contractor is Crystal Clean Repairs LLC, three swimming pool renovations, $225,982.

Windmill Properties Group LLC, 896 and 904 Cesery Terrace, contractor is Pecan Construction LLC, two new quadruplex building, $400,000.

Island Pointe Apartments, 1000 Island Point Drive, contractor is Burkhalter Wrecking Inc., 9,867 square feet, building demolition, $53,480.

The Park at Via Veneto, 445 Monument Road, contractor is Tradesman for Hire LLC, roof repair, $50,000.

The Jack on Beach Apartments, 3460 Beach Blvd., contractor is TCL Construction Concepts Inc., install retaining wall, $26,600. Linden House, 14900 Inspire Way, contractor is RISE General Contractors LLC, 343 square feet, new pump house building, $15,000.

DAY CARE

America’s Little Leaders, 1527 Gandy St., contractor is Wesley E. Sanks, 1,742 square feet, new modular building, $45,000.

GOVERNMENT

City of Jacksonville, 4368 N. Davis St., contractor is PerryMcCall Construction Inc., 49,899 square feet, District IV Medical Examiner’s office and dumpster enclosure, $57.29 million.

HOSPITAL, INSTITUTIONAL

Ascension St. Vincent’s Riverside Hospital, 1 Shircliff Way, contractor is Weatherproofing Technologies Inc., helipad stabilization, $163,000.

HOTEL, MOTEL, DORMITORY

Days Inn Jacksonville Airport, 1170 Airport Road, contractor is Big Z Pool Service LLC, swimming pool renovation, $22,375.

INDUSTRIAL

Frida, 11007 Development Way, contractor is Becknell Services Inc., 270,716 square feet, tenant build-out, $1.5 million.

Malnove Inc. of Florida, 10500 Canada Drive, contractor is Haskew Co. & Associates Inc., 538 square feet, new storage building, $539,903.

Dorado Graphix, Imeson Landing Business Park, 1250

Imeson Park Blvd., No. 304, contractor is Lay Duckworth Construction Co., 7,037 square feet, interior build-out, $225,000.

Loctek, 2983 Faye Road, contractor is ARCO Design/Build Jacksonville LLC, foundation for warehouse expansion, $137,873.

Amazon DJX3, 250 Busch Drive E., contractor is Sheer Enterprises Inc., new sorting system electrical modification, $47,000.

Preferred Materials Inc., 10417

Alta Drive, contractor is JGLM Construction Services LLC, install silo foundation, $28,000.

High Reach 2, 1447 Pickettville Road, contractor is Holton Construction Inc., 1,050 square feet, new accessory building, $20,000.

OFFICE, BANK, PROFESSIONAL

Dewberry, 200 W. Forsyth St., contractor is Breaking Ground Contracting Co., 3,142 square feet, tenant build-out, $523,853. Scott Air of Florida Inc., 1821 Corporate Square Blvd., contractor is Westmoreland Construction LLC, 3,800 square feet, new building, $400,000. Vivid Orthodontics PLLC, 15492 Max Leggett Parkway, No. 3, contractor is DNK Construction LLC, 2,399 square feet, tenant build-out, $247,000.

Pax Technology Inc., 7014 AC Skinner Parkway, contractor is Lighthouse Construction of North Florida LLC, 22,602 square feet, tenant build-out, $244,700.

CI Lake Gray II LLC, 6200 Lake Gray Blvd., contractor is Solid Foundation Solutions LLC, foundation stabilization, $21,700. Southbelt Park Ltd., 2975 Claire Lane, contractor is TCL Construction Concepts Inc., install retaining wall, $20,700.

RESTAURANTS

Culver’s, 4768 Hodges Blvd., contractor is McCon Building Corp., 5,333 square feet, new building, $1.95 million. Popeyes Louisiana Kitchen, 6781 Dunn Ave., contractor is Sierra Construction Co. Inc., 2,514 square

feet, new building, $900,000.

Chick-fil-A, 13375 Atlantic Blvd., contractor is HMC Facilities Group LLC, interior renovation, $783,945.

PangeaKeto, 14474 Beach Blvd., contractor is Adkins Construction LLC, 1,969 square feet, tenant build-out, $60,000.

Sweet Peaches Coffee, 3895 Baymeadows Road, contractor is All Construction and Developers North Florida Inc., 1,958 square feet, tenant build-out, $48,900.

Tropical Smoothie Cafe, 5821 Beach Blvd., contractor is National Custom Corporate Services Inc., 125 square feet, dumpster enclosure, $15,000.

SIGNS

Hardwick Farms, 6913 and 7125 Powers Ave., contractor is Bent Construction LLC, two monument signs, $50,000. Wolfson Family Outpatient Center, 1235 San Marco Blvd., contractor is Don Bell Signs LLC, wall sign, $11,500.

RiverTown Church, 3044 San Pablo Road S., contractor is Harbinger LLC, ground sign, $10,000.

The Aston at Town Center, 10655 Brightman Blvd., contractor is SignJive LLC, three monument and wall signs, $7,200.

Keke’s Breakfast Cafe, 12959 Atlantic Blvd., No. 101, contractor is Taylor Sign & Design Inc., two wall signs, $4,800.

Keke’s Breakfast Cafe, 9570 Crosshill Blvd., No. 106, contractor is Taylor Sign & Design Inc., two wall signs, $4,800. Stanton Optical, 11467 San Jose Blvd., contractor is Nine Enterprises Inc., two wall signs, $4,800.

Stanton Optical, 13529 Beach Blvd., contractor is Nine Enterprises Inc., two wall signs, $4,800.

Auto Gallery, 9590 Atlantic Blvd., contractor is Liberty Lighting Inc., two wall signs, $4,600.

Green Lake Chinese Food, 4495 Roosevelt Blvd., No. 310, contractor is Liberty Lighting Inc., wall sign, $2,400.

Stanton Optical, 790 Skymarks Drive, contractor is Nine Enterprises Inc., wall signs, $2,400.

Lucky Cat Dim Sum Restaurant, 10550 Old St. Augustine Road, No. 28, contractor is Liberty Lighting Inc., wall sign, $2,300. St. Matthew Catholic Church, 1773 Blanding Blvd., contractor is Southeastern Lighting Solutions Inc., replace reader board with electronic reader board, $2,300. Sweet Peaches Coffee, 3895 Baymeadows Road, contractor is Advanced Multi Sign Corp., wall sign, $2,200. Spliffs Gastropub A Food and Drink Joint, 14985 Old St. Augustine Road, No. 108, contractor is Advanced Multi Sign Corp., wall sign, $2,200.

STORES, MERCANTILE

Gate Petroleum Co. and Gate Express Carwash, 4740 and 4750 Hodges Blvd., contractor is North Coast Construction Co., 22,584 square feet, convenience store, car wash, pay station, fuel canopy and dumpster enclosures, $9.66 million.

Equity Landing Inc., 10601 San Jose Blvd, No. 2, contractor is North Coast Construction Co., facade renovation, $500,000. Dillard’s, 4755 Town Crossing Drive, contractor is CDI Contractors LLC, 1,870 square feet, cosmetics sales area renovation, $228,472.

Bote, 2655 Park St., contractor is Sea Breeze Construction LLC, 3,756 square feet, tenant buildout, $75,000.

Paw Lickin’ Good, 1265 Lane Ave. S., No. 3, contractor is AEC Integrated LLC, 2,150 square feet, tenant build-out, $18,000.

PEOPLE ON THE MOVE

Representing

Representing

As it continues to experience significant development and growth, Jacksonville University (JU) is pleased to introduce Jonathan Meer as its Vice President of University Advancement.

Meer brings with him more than two decades of fundraising and advancement successes, including the execution of multimillion-dollar campaigns for several prominent universities. He joins JU from The College of New Jersey, where he helped produce two of the University’s best fundraising years as the Associate Vice President for Development and Alumni Engagement. Prior, he led Development and Alumni Engagement efforts at Monmouth University, where he steered an 18-month scholarship campaign that exceeded its $12 million goal with $19.5 million in commitments.

Meer will work closely with JU leadership to build on the University’s momentum and expand its regional footprint.

20 THURSDAY, SEPTEMBER 14, 2023 JACKSONVILLE DAILY RECORD Asbestos Exposures: Shipyard, USN, Construction, Automotive, Power Plants, Paper Mills, Household, Etc. 394348-1 Florida Lawyers Representing Injured Floridians
Mesothelioma & Lung Cancer Victims for Over 35 Years Throughout Florida
Mesothelioma & Lung
for
35 Years
Cancer Victims
Over
Throughout Florida
alumni@ju.edu • (904) 256-7045
PAID CONTENT
Jonathan Meer Vice President of Advancement
WJCT
THE LARGEST COMMERCIAL BUILDING PERMITS BY JOB COST ISSUED SEPT. 5 - 11 BY THE CITY OF JACKSONVILLE
An artist’s rendering of the $57.29 million District IV Medical Examiner’s office at 4368 N. Davis St.

& THE COURTS

Foley & Lardner names new managing partner

Danielle Whitley succeeds Kevin Hyde at the global law firm’s Jacksonville office.

Danielle Whitley is the new managing partner in Foley & Lardner’s Jacksonville office.

A partner in the law firm’s finance and transactions practices, she also is a member of the firm’s Recruiting Committee and is the hiring partner for the Jacksonville office.

Whitley succeeds Kevin Hyde, who was elected Jacksonville office managing partner in 2009. Hyde continues his employment law practice with the firm.

“Danielle is a remarkable leader with the necessary thinking and vision to guide the Jacksonville office in its continued growth. She will serve the firm well in this role and I look forward to seeing the office thrive and Foley’s local presence expand under her direction,” Daljit Doogal, Foley chairman and CEO, said in a news release.

“I also want to thank Kevin for his many years of exceptional leadership and valuable contributions to the firm, including the strong foundation he built in the local business and civic communities.”

“I am honored to take the baton from Kevin and lead this office. I want to enhance our reputation as a preeminent firm in Florida and continue to bring the firm’s national platform to our local area,” Whitley said in the release.

She joined Foley in 2000 and focuses her practice in the areas of finance and corporate transactions, governance and business counseling.

Military Financial Wellness Summit

Dec. 9 in Jacksonville

The Jacksonville Bar Association, Jacksonville Bankruptcy Bar Association, Jacksonville Area Legal Aid, The Florida Bar Business Law Section and the Duval County Veterans Treatment Court will host a Military Financial Wellness Summit from 9 a.m. to 1 p.m. Dec. 9 at VyStar Veterans Memorial Arena.

The program will cover topics including budgeting, credit and credit cards, effective financial management and savings tools, bankruptcy and financial distress.

Visit tinyurl.com/53d27b99 to register for admission.

The event is supported by VyStar Credit Union. Community partners include the Jacksonville Jumbo Shrimp and Florida Blue.

Natalie Clayton joins ABL Law

ABL Law added Natalie Clayton to the firm as an associate attorney.

Whitley is general counsel for The Donna Foundation, a nonprofit that assists underserved women living with breast cancer in Northeast Florida, and a board member for the Cathedral Arts Project, a nonprofit making arts education accessible to all children.

Foley has 1,100 attorneys in 25 international offices. The Jacksonville office was established in 1981 and is one of five in Florida.

Free to active duty members of the military, veterans and their families, the event is an opportunity to meet with lawyers and financial advisers for personalized assistance. The program will include complimentary food and parking.

The U.S. Attorney’s Office for the Middle District of Florida, the U.S. Securities and Exchange Commission, the Duval County Veterans Treatment Court, the city Veterans and Military Affairs Office, K9s For Warriors, Wounded Warrior Project, North Florida Women’s Veterans Inc. and other organizations will provide information about services available in the community.

Her 17-year legal career includes practice in the child-welfare system, specializing in dependency law, family law and criminal litigation matters.

Additionally, she was vice president and general counsel for Family Support Services of North Florida in Duval, Nassau, Pasco and Pinellas counties. Clayton also has expertise in general legal advocacy for nonprofits.

A 2005 graduate of the University of Buffalo Law School at The State University of New York, Clayton was admitted to The Florida Bar in 2006.

THURSDAY, SEPTEMBER 14, 2023 21 JACKSONVILLE DAILY RECORD COMING THURSDAY, SEPT. 28 Reserve your ad space by Sept. 21 To advertise contact Jay or Angie at 904-356-2466 or advertise@jaxdailyrecord.com. DOWNTOWN DEVELOPMENT A look at the biggest downtown development projects. Featured Content 407918-1
LAW
| MMARBUT@JAXDAILYRECORD.COM | 904-356-2466
Special to the Daily Record Danielle Whitley succeeds Kevin Hyde as the new managing partner in Foley & Lardner’s Jacksonville office. Clayton

THE BASCH REPORT

Smurfit Kappa, WestRock agree to merger

The paper and packaging company includes WestRock’s Northeast Florida plants.

Smurfit, a familiar name in Jacksonville when the city was known for the smell of paper mills in the 1980s and 1990s, is making a comeback in Northeast Florida.

Dublin, Ireland-based Smurfit Kappa Group and Atlanta-based WestRock Co., which operates several facilities in Jacksonville and Fernandina Beach, announced a merger agreement Sept. 12.

The merged company will be known as Smurfit WestRock and headquartered in Dublin, with a North and South American headquarters in Atlanta.

It will be a return to the past for the Northeast Florida facilities, which were once a part of the Smurfit paper and packaging empire.

The companies’ Jacksonville roots go back to 1981 when Jefferson Smurfit Group’s U.S. subsidiary completed the acquisition of the Alton Box Board Co., which had a plant in Jacksonville.

The plant operated under the Jefferson Smurfit name until 1998, when the U.S. subsidiary merged with Stone Container Corp., which also had Northeast Florida facilities, to form Smurfit-Stone Container Corp.

Paper was a major Jacksonville industry in the late 20th century and the city became known for the odor generated by the mills.

However, Tommy Hazouri, Jacksonville mayor from 1987 to 1991, made ridding the stench a key part of his agenda and the mills cleaned up their act to a large extent by the time SmurfitStone was formed.

Dublin-based Jefferson Smurfit Group ended up with 29% of the stock of SmurfitStone in the merger but distributed its stake to its shareholders in 2002, ending its association with the U.S. company.

In 2005, Jefferson Smurfit merged with Netherlandsbased Kappa Packaging to form Smurfit Kappa.

Smurfit-Stone was saddled with debt and filed for Chapter 11 bankruptcy reorganization in 2009. After emerging from bankruptcy in 2010, it was acquired by RockTenn Co. the following year.

In 2015, RockTenn merged with MeadWestvaco Corp. to form WestRock.

Smurfit WestRock will have 100,000 employees operating in 42 countries. The two companies combined produced $34 billion in revenue in the 12 months through June 30.

Westrock’s annual report said the company had 292 packaging and paper plants in five countries.

The company’s web page lists seven plants and office locations in Jacksonville and Fernandina Beach.

The annual report said its containerboard mill in Fernandina Beach produced 950,000 tons of linerboard last year but

THE SMURFIT WESTROCK DEAL

Smurfit Kappa and WestRock will merge into a holding company called Smurfit WestRock.

Smurfit WestRock will be incorporated and domiciled in Ireland with global headquarters in Dublin and its North and South American operations headquartered in Atlanta.

Smurfit Kappa CEO Tony Smurfit and CFO Ken Bowles will assume those roles at the merged company.

The new board of directors will comprise eight Smurfit Kappa directors and six WestRock directors.

Smurfit Kappa Chairman Irial Finan will be the chair of the Smurfit WestRock board of directors.

Smurfit WestRock will be listed on the New York Stock Exchange.

The transaction is expected to close in the second quarter of calendar year 2024.

gives no other information about the Jacksonville and Fernandina Beach operations.

Westrock’s media relations department did not respond to requests for information about its current employment in Northeast Florida.

Smurfit Kappa shareholders will own 50.4% of Smurfit WestRock after the merger, which is expected to be completed in the second quarter of 2024.

Smurfit Kappa CEO Tony Smurfit will be chief executive of the merged company.

“Smurfit WestRock will be the ‘Go-To’ packaging partner of choice for customers, employees and shareholders,” he said in a news release.

“We will have the leading assets, a unique global footprint in both paper and corrugated, a superb consumer and specialty packaging business, significant synergies, and enhanced scale to deliver value in the short, medium and long term.”

Ferris said her nine months at FIS ‘feels like 15 years’

A lot has happened at Fidelity National Information Services Inc. in the nine months since Stephanie Ferris was promoted to CEO of the Jacksonville-based company known as FIS.

“It feels like 15 years,” Ferris said Sept. 7 during a talk at the Goldman Sachs Communacopia + Technology Conference in San Franciso.

“No, I’m just kidding,” she quickly added.

But she’s been busy, including announcing an $11.7 billion deal in July to sell a majority interest in the company’s Worldpay merchant payments technology business.

Worldpay has produced disap-

Major railroads reached a fiveyear agreement with unions in late 2022, but that contract covers the years 2020 through 2024.

“We have to do all it all over again next year,” Hinrichs said during a Sept. 6 talk to the TD Cowen Global Transportation Conference in Boston.

Hinrichs expressed optimism that negotiations will be smoother for the next contract.

“I’m certainly hopeful we’ve all learned our lessons from the last one and we’ll be able to manage it in a different way,” he said.

Hinrichs said the outlook for freight shipments on Jacksonville-based CSX’s railroad network remains mixed.

“We’re seeing some strength and some weakness,” he said.

A bright spot has been coal shipments, because the summer weather has increased demand.

“We did more coal in the Southern utilities because of the heat,” Hinrichs said.

“We feel good about where we are but we’re watching the economy very closely,” he said.

Forbes ranks Jaguars 43rd most valuable sports team

East/North Africa region since 2013 and we believe their extensive experience and expertise will bring numerous advantages to the brand’s continued growth,” David Shear, president of RBI’s international operations, said in a news release.

Toronto-based RBI owns the Firehouse, Tim Hortons, Burger King and Popeyes restaurant chains.

Summit, Argos announce $3.2B cement merger

Colombia-based Cementos

Argos announced an agreement to merge its U.S. subsidiary, Argos North America Corp., with Denver-based Summit Materials Inc. to form the fourth-largest U.S. cement company.

Argos has a significant cement and concrete operation in Jacksonville and the rest of Florida, which it acquired from Vulcan Materials Co. for $720 million in 2014.

Birmingham, Alabama-based Vulcan acquired those operations when it bought Jacksonville-based Florida Rock Industries Inc. for $4.2 billion in 2007.

pointing results since financial technology firm FIS acquired the company in 2019.

“We came into the year with a very high sense of urgency around Worldpay,” Ferris said.

She said the deal is progressing well.

“We’re on track to close that in the first quarter,” she said.

Besides dealing with Worldpay, Ferris said she had two other priorities. One was to reestablish credibility with investors after the company’s stock price dropped since mid-2021.

Another priority is the company’s “Future Forward” program, which includes achieving $1 billion in annual cost savings but is also “a program we’re using to fundamentally transform the business,” Ferris said.

FIS is looking at ways to serve its clients better through the program, including faster product development in a world where technology is constantly changing.

“We really are pulling every lever,” Ferris said.

Hinrichs: More labor talks coming for CSX

Before joining CSX Corp. as CEO a year ago, Joe Hinrichs built a reputation for successfully working with autoworker unions during a two-decade career at Ford Motor Co.

That seems to be coming in handy because Hinrichs has spent much of his time working on contracts with railroad unions at CSX, and he’s far from done with that.

The Jacksonville Jaguars moved up a spot in Forbes magazine’s annual list of most valuable sports franchises, ranking 43rd in the world with an estimated value of $4 billion.

The ranking reflects the overall financial strength of the NFL, bolstered by the league’s big television deals, Forbes reported in a story posted Sept. 8.

The ranking of the top 50 global franchises included 30 of the 32 NFL teams. The Jaguars ranked 28th among NFL teams.

Seven soccer teams and six NBA teams made the list.

Forbes said the Jaguars’ value has increased by 92% over the last five years.

Shad Khan bought the team in 2011 for an estimated $770 million.

Firehouse to open in the UAE and Oman

As part of its plan to expand internationally, Firehouse Subs announced a partnership Sept. 10 to open more than 100 restaurants across the United Arab Emirates and Oman.

Firehouse announced the partnership with the Apparel Group, a UAE-based fashion and lifestyle retail conglomerate.

Restaurant Brands International Inc., which acquired Jacksonville-based Firehouse in December 2021, has said expanding the brand into new global markets is a key part of its growth strategy.

Firehouse has more than 1,200 restaurants in the U.S. and Canada and opened its first European restaurant in Switzerland in June. It also announced plans to expand into Mexico.

“We are very excited to continue our path to expand the Firehouse Subs brand across the world. Apparel Group has been a strong partner operating the Tim Hortons brand in the Middle

“The Argos USA team has done an excellent job growing and operating its business,” Summit CEO Anne Noonan said in a Sept. 7 news release.

“The transaction will extend our geographic reach into high growth markets, creating a leading cement enterprise nationwide, and bring together two talent-rich organizations to innovate and deliver value-added solutions for our customers,” she said.

Summit is acquiring the U.S. business from Argos for $3.2 billion in cash and stock. As part of the transaction, Cementos Argos will own 31% of Summit.

Analyst upgrades Regency Centers

Raymond James analyst RJ Milligan upgraded his rating on Jacksonville-based Regency Centers Corp. from “market perform” to “outperform” in a Sept. 5 update report on real estate investment trusts that operate shopping centers.

“We currently favor the shopping center REITs with higher exposure to grocery-anchored centers and limited exposure to the big-box tenant fallout,” Milligan said.

“Regency has one of the best development/redevelopment pipelines across the space and had a busy quarter of starts in 2Q ($175M) which we believe will continue to drive longer-term value creation,” he said.

Milligan also reiterated his positive view on Regency’s $1.4 billion acquisition in August of Urstadt Biddle Properties Inc., which added 77 properties mainly in the New York metropolitan area.

“We view this portfolio acquisition as an opportunity for Regency to get their hands on irreplaceable retail real estate which Regency can improve over time using its operational expertise and lower cost of capital,” he said.

22 THURSDAY, SEPTEMBER 14, 2023 JACKSONVILLE DAILY RECORD
| 904-356-2466
Ferris

Economy contracting, but outlook improving

A monthly survey of Jacksonville manufacturers by the University of North Florida’s Local Economic Indicators Project showed contraction in the local economy, but also brought some positive signals.

Meanwhile, a new quarterly survey by Jacksonville-based Dun & Bradstreet found optimism for growth in the global economy.

UNF’s Jacksonville Economic Monitoring Survey of Northeast Florida manufacturing companies found eight of 12 indicators contracting in August, and its overall Purchasing Managers’ Index fell from 49.3 in July to 47 last month.

“However, despite the overall contractionary environment, there are bright spots that may point toward a more optimistic future for Jacksonville’s economy,” UNF economist Albert Loh said in the monthly report.

“For example, the 12-month business outlook for the area is improving, and both employment and output are in expansionary territory,” he said.

The JEMS survey found output

by manufacturers rose in August for the first time since March.

“Such an uptick can have a multiplicative effect on the regional economy, likely boosting employment, consumer spending, and overall business confidence,” Loh said. Although a majority of the indicators were still contracting in August, the business outlook indicator jumped higher.

“It suggests that businesses are more confident about the state of the market, possibly expecting increased demand, reduced costs, or other favorable conditions. Such an outlook can encourage companies to invest more in pro-

duction, technology, and human resources, which can be a boon for the local economy,” Loh said.

The national PMI from the Institute for Supply Management rose from 46.4 in July to 47.6 in August, but any number below 50 indicates contraction.

“Jacksonville’s ability to maintain a stable yet cautiously optimistic business environment, even as the national index shows mild contraction, speaks to its resilience,” Loh said.

DUN & BRADSTREET SURVEY

The Dun & Bradstreet Global Business Optimism Insights survey is an amalgamation of five

indices, the company said.

Its third-quarter report found while the world economy is expected to grow, the growth is projected to be slower due to a decline in advanced economies, contrasting growth in emerging economies.

Dun & Bradstreet said Nordic businesses are the most pessimistic about supply chain issues, followed by U.S. businesses.

Russian companies had the biggest improvement in business investment confidence, but the index for Russia remained the lowest among the 32 economies surveyed.

“While the unprecedented

monetary tightening has helped control inflation in some countries, it has also introduced the specter of an economic slowdown and stress in the balance sheets of businesses,” Dun & Bradstreet Global Chief Economist Arun Singh said in a news release.

“However, the global economy has not fared as badly as feared, as most businesses anticipate a 2% to 6% growth in their investment levels across technology, real estate, product development, and sustainability initiatives, offering hope for improvement in economic conditions,” he said.

MBASCH@JAXDAILYRECORD.COM

THURSDAY, SEPTEMBER 14, 2023 23 JACKSONVILLE DAILY RECORD Coming Thursday, November 9 Reserve your ad space by Oct. 26 Contact Jay or Angie at 904-356-2466 or advertise@jaxdailyrecord.com COOL CONSTRUCTION Featuring the region’s most interesting new projects completed over the past year that are making a difference and have that “wow” factor. Special Edition 409527-1
The monthly survey by the University of North Florida “suggests that businesses are more confident about the state of the market.”
LOCAL
ECONOMIC INDICATORS PROJECT
“The 12-month business outlook for the area is improving, and both employment and output are in expansionary
ALBERT LOH, UNIVERSITY OF NORTH FLORIDA ECONOMIST

409316-1

Academics, arts, languages and a world view.

The Bolles Global Learning and Engagement Program opens a new world of understanding and learning for all grade levels—all anchored in a love of academics, fine and performing arts, athletics, service and more.

Learn more about Bolles GL&E program

24 THURSDAY, SEPTEMBER 14, 2023 JACKSONVILLE DAILY RECORD
Bolles.org
Pre-K through Grade 12, Day & Boarding School
|

FIRST INSERTION

NOTICE UNDER FICTITIOUS NAME LAW

According to Florida Statute Number 865.09

NOTICE IS HEREBY GIVEN that the undersigned, desiring to engage in business under the Fictitious Name of Horizon Surgery Center South located at 14540 Old St. Augustine Road, MOB Bldg 2, in the City of Jacksonville, Duval County, Florida 32258 intends to register the said name with the Division of Corporations of the Department of State, Tallahassee, Florida.

Dated at Jacksonville, Florida, this 7th day of September, 2023. Baptist South Surgery Center, LLC Sep. 14 00 (23-06131D)

FIRST INSERTION

NOTICE

Extra Space Storage will hold a public auction to sell personal property described below belonging to those individuals listed below at the location indicated: 5550 Timuquana Rd, Jacksonville, FL, 32210 October 3rd, 2023

9:30am. Eric Laron BlacmonHousehold goods

Pamela Belser - 1 bed/drssr/wash/ dryer/2 pc dining set/15 boxes/ glass coffee tbl/2 patio chairs/ Jason Edwards - Just a small, standard airline sized roller bag with personal items in it. The auction will be listed and advertised on www.storagetreasures.com. Purchases must be made with cash only and paid at the above referenced facility in order to complete the transaction.

Extra Space Storage may refuse any bid and may rescind any purchase up until the winning bidder takes possession of the personal property. Sep. 14/21 00 (23-06105D)

IN THE CIRCUIT COURT, FOURTH JUDICIAL CIRCUIT, IN AND FOR DUVAL COUNTY, FLORIDA PROBATE DIVISION File No. 16-2023-CP-002320

Division PR-A IN RE: ESTATE OF JAMES THEODORE PLUMER Deceased.

NOTICE OF ADMINISTRATION (intestate)

The administration of the estate of JAMES THEODORE PLUMER, deceased, is pending in the Circuit Court for DUVAL County, Florida, Probate Division, the address of which is 501 West Adams Street, Jacksonville, Florida 32202. The file number for the estate is 16-2023-CP-002320. The estate is intestate.

The names and addresses of the personal representative and the personal representative’s attorney are set forth below. The fiduciary lawyer - client privilege in section 90.5021, Florida Statutes, applies with respect to the personal representative and any attorney employed by the personal representative.

Any interested person on whom a copy of the notice of administration is served must file with the court, on or before the date that is 3 months after the date of service of a copy of the Notice of Administration on that person, any objection that challenges the validity of the will, venue or jurisdiction of the court. The 3 month time period may only be extended for estoppel based upon a misstatement by the personal representative regarding the time period within which an objection must be filed. The time period may not be extended for any other reason, including affirmative representation, failure to disclose information, or misconduct by the personal representative or any other person. Unless sooner barred by section 733.212(3), Florida Statutes, all objections to the validity of the will, venue or the jurisdiction of the court must be filed no later than the earlier of the entry of an order of final discharge of the personal representative or 1

DUVAL COUNTY LEGAL NOTICES

FIRST INSERTION

Notice of Sale of Unclaimed

Property/Evidence

Jacksonville Sheriff’s Office

Pursuant to Florida Statute 705, the Jacksonville Sheriff’s Office will be hosting an online public auction on Monday, September 25, 2023, through Friday, September 29, 2023, for miscellaneous items such as bicycles, tools, electronics, musical instruments, and textiles. Bidders can view and pay for items online at www.PropertyRoom.com. For additional information, please call Property and Evidence at (904) 630-8777. Sep. 14/21 00 (23-06112D)

FIRST INSERTION

NOTICE Extra Space Storage will hold a public auction to sell personal property described below belonging to those individuals listed at the location indicated: 9239 103rd Street Jacksonville FL 32210 on October 3rd, 2023 at 2:00PM.

Kristen StoneSofa, crib, tables, bed, clothes

Kunesha Ousley -

Household Goods

Clinton Bradley -

Household Goods

Lovette Burton -

Household Goods

Stephanie Diane Derosia -

Household Goods

LaToya

Jordan

Soto - Household Goods

Fuller - Household Goods

Roxana Johnson -

Household Goods

Sierra Townsend -

Household Goods

The auction will be listed and advertised on www.storagetreasures.com. Purchases must be made with cash only and paid at the above referenced facility in order to complete the transaction.

Extra Space Storage may refuse any bid and may rescind any purchase up until the winning bidder takes possession of the personal property.

Sep. 14/21 00 (23-06119D)

year after service of the notice of administration.

Persons who may be entitled to exempt property under section 732.402, Florida Statutes, will be deemed to have waived their rights to claim that property as exempt property unless a petition for determination of exempt property is filed by such persons or on their behalf on or before the later of the date that is 4 months after the date of service of a copy of the notice of administration on such persons or the date that is 40 days after the date of termination of any proceedings involving the construction, admission to probate, or validity of the will or involving any other matter affecting any part of the exempt property.

Unless an extension is granted pursuant to section 732.2135(2), Florida Statutes, an election to take an elective share must be filed on or before the earlier of the date that is 6 months after the date of service of a copy of the notice of administration on the surviving spouse, an agent under chapter 709, Florida Statutes, or a guardian of the property of the surviving spouse; or the date that is 2 years after the date of the decedent’s death.

Under certain circumstances and by failing to contest the will, the recipient of the notice of administration may be waiving his or her right to contest the validity of a trust or other writing incorporated by reference into a will.

Personal Representative: Maria Tyece Roy 8208 SW 42nd Avenue Gainesville, Florida 32068

Attorney for Personal Representative:

DOUGLAS A. OBERDORFER, Esquire

Attorney for Maria Tyece Roy Florida Bar Number: 0139092 432 East Monroe Street Jacksonville, Florida 32202 Telephone: (904) 354-5454 Fax: (904) 350-9803

FIRST INSERTION

NOTICE OF PUBLIC SALE

Self-storage unit contents of the following customers containing household and other goods will be sold for cash by CubeSmart, 8552 Baymeadows Rd, Jacksonville, FL 32256, to satisfy a lien on 10/12/2023 at approx. 4:00 pm at following sites www.storagetreasures.com

Titus Ke’Juan Mcdonald

Crystal Lashandria Flowers

Jason Elabu

Jessica Braxton

Nautasha Collins

Austin S Rhodes

Deborah Quinn

Clemon Choice

Stephanie Reese

Shavonne McCormick

Gregory Stovall Sep. 14/21 00 (23-06110D)

FIRST INSERTION

NOTICE

Extra Space Storage will hold a public auction to sell personal property described below belonging to those individuals listed below at the location indicated: Extra Space Storage, 790 Monument Road, Jacksonville, FL 32225, 904-528-1223, on 10/3/23 at 11:30 AM.

Limona Wright3bdrm // dressers // 30 boxes

The auction will be listed and advertised on www.storagetreasures.com. Purchases must be made with cash only and paid at the above referenced facility in order to complete the transaction. Extra Space Storage may refuse any bid and may rescind any purchase up until the winning bidder takes possession of the personal property.

Sep. 14/21 00 (23-06107D)

FIRST INSERTION

NOTICE OF MEETING OF THE BOARD OF SUPERVISORS CYPRESS BLUFF COMMUNITY

DEVELOPMENT DISTRICT

Notice is hereby given that the Cypress Bluff Community Development District (“District”) will hold a regular meeting (“Meeting”) of the Board of Supervisors (“Board”) on Tuesday, September 26, 2023 at 1:30 p.m. at the eTown Welcome Center, 11003 E-Town Parkway, Jacksonville, Florida 32256, where the Board may consider any business that may properly come before it.

The Meeting is open to the public and will be conducted in accordance with the provisions of Florida law for community development districts. The Meeting may be continued to a date, time, and place to be specified on the record at such Meeting.

An electronic copy of the agenda may be obtained by contacting the office of the District Manager, c/o Governmental Management Services, LLC, 475 West Town Place, Suite 114, St. Augustine, Florida 32092, (904) 940-5850, jperry@ gmsnf.com (“District Manager’s Office”) during normal business hours, and will be available on the District’s website, www.CypressBluffCDD.com

Any person requiring special accommodations at the meeting because of a disability or physical impairment should contact the District Manager’s Office at least forty-eight (48) hours prior to the meeting. If you are hearing or speech impaired, please contact the Florida Relay Service by dialing 7-1-1, or 1-800-955-8771 (TTY) / 1-800-955-8770 (Voice), for aid in contacting the District Manager’s Office.

Each person who decides to appeal any decision made by the Board with respect to any matter considered at the Meetings is advised that person will need a record of proceedings and that accordingly, the person may need to ensure that a verbatim record of the proceedings is made, including the testimony and evidence upon which such appeal is to be based.

Jim Perry District Manager Sep. 14 00 (23-06109D)

FIRST INSERTION

NOTICE UNDER FICTITIOUS NAME LAW

According to Florida Statute Number 865.09

NOTICE IS HEREBY GIVEN that the undersigned, desiring to engage in business under the Fictitious Name of Heart of Hope located at 2753 Mayport Rd. Apt 1506, in the City of Jacksonville, Duval County, Florida 32233 intends to register the said name with the Division of Corporations of the Department of State, Tallahassee, Florida.

Dated at Jacksonville, Florida, this 7th day of September, 2023. Serena LaGesse Sep. 14 00 (23-06129D)

FIRST INSERTION

NOTICE UNDER FICTITIOUS NAME LAW

According to Florida Statute Number 865.09

NOTICE IS HEREBY GIVEN that the undersigned, desiring to engage in business under the Fictitious Name of Horizon Surgery Center Beaches located at 1577 Roberts Drive, in the City of Jacksonville Beach, Duval County, Florida 32250 intends to register the said name with the Division of Corporations of the Department of State, Tallahassee, Florida. Dated at Jacksonville, Florida, this 7th day of September, 2023.

Baptist Beaches Surgery Center, LLC Sep. 14 00 (23-06130D)

FIRST INSERTION IN THE CIRCUIT COURT FOR DUVAL COUNTY, FLORIDA PROBATE DIVISION File No. 16-2023-CP-002509 Division PR-B IN RE: ESTATE OF VICTOR VILLANUEVA CLAUSELL Deceased.

NOTICE TO CREDITORS

The administration of the estate of VICTOR VILLANUEVA CLAUSELL, deceased, whose date of death was May 30, 2023, is pending in the Circuit Court for DUVAL County, Florida, Probate Division, the address of which is “Duval County Clerk of Courts, Attn: PROBATE DEPARTMENT, 501 West Adams Street, Room 1173, Jacksonville, FL 32202”. The names and addresses of the Petitioner and the Petitioner’s attorney are set forth below. All creditors of the decedent and other persons having claims or demands against decedent’s estate on whom a copy of this notice is required to be served must file their claims with this court ON OR BEFORE THE LATER OF 3 MONTHS AFTER THE TIME OF THE FIRST PUBLICATION OF THIS NOTICE OR 30 DAYS AFTER THE DATE OF SERVICE OF A COPY OF THIS NOTICE ON THEM.

All other creditors of the decedent and other persons having claims or demands against decedent’s estate must file their claims with this court WITHIN 3 MONTHS AFTER THE DATE OF THE FIRST PUBLICATION OF THIS NOTICE. ALL CLAIMS NOT FILED WITHIN THE TIME PERIODS SET FORTH IN FLORIDA STATUTES SECTION 733.702 WILL BE FOREVER BARRED. NOTWITHSTANDING THE TIME PERIODS SET FORTH ABOVE, ANY CLAIM FILED TWO (2) YEARS OR MORE AFTER THE DECEDENT’S DATE OF DEATH IS BARRED.

The date of first publication of this notice is September 14, 2023. Luz C. Ramos-Rosario 6118 Bizier Rd. Jacksonville, Florida 332244

Attorney for Petitioner: /s/ Ryan Scott Ryan Scott Attorney Florida Bar Number: 1044898 Owenby Law, P.A. 6136 Atlantic Avenue Jacksonville, Florida 32211 Telephone: (904) 359-5115 Fax: (904) 375-8704 E-Mail: ryan@owenbylawfirm.com Secondary E-Mail:

Sep. 14/21 00 (23-06128D)

FIRST INSERTION

NOTICE

BEACH BODY TOWING

CO., INC. gives notice that on 09/27/2023 at 10:30 AM the following vehicles(s) may be sold by public sale at 928 7TH AVE

SOUTH JAX BCH, FL. 32250 to satisfy the lien for the amount owed on each vehicle for any recovery, towing, or storage services charges and administrative fees allowed pursuant to Florida statute 713.78.

1G4HR54K94U153519 2004 BUIC

1G1ZT51896F137596 2006 CHEV

1C3CCBCG9EN134920

2014 CHRY

CBAHB106I889 1989 COBIA

1FAFP55243A177197

2003 FORD

1FAFP56U57A117659

2007 FORD

KMHLS4AGXNU252165 2022 HYUN

JT8BF22G5V0031490 1997 LEXUS

ML32A3HJ5FH046098

2015 MITS

5N1AT2MV2KC812751

2019 NISS

JN8AS58T18W008647

2008 NISS

DEMF0529M76D 1976 TERRYBAS

JT3GN86R510197225 2001 TOYT

JYA3ALE0XRA035393 1994 YAMA

JYARN40E4GA000529 2016 YAMA

Sep. 14 00 (23-06117D)

FIRST INSERTION

IN THE CIRCUIT COURT FOR DUVAL COUNTY, FLORIDA PROBATE DIVISION

File No. 16-2023-CP-002508

Division PR-A

IN RE: ESTATE OF DELORES L. KAY a/k/a DELORIS L. KAY, Deceased.

NOTICE TO CREDITORS

The administration of the estate of Delores L. Kay, deceased, whose date of death was August 10, 2023, is pending in the Circuit Court for Duval County, Florida, Probate Division, the address of which is 501 West Adams St., Room 1173, Jacksonville, FL 32202. The names and addresses of the personal representative and the personal representative’s attorney are set forth below.

All creditors of the decedent and other persons having claims or demands against decedent’s estate on whom a copy of this notice is required to be served must file their claims with this court ON OR BEFORE THE LATER OF

3 MONTHS AFTER THE TIME OF THE FIRST PUBLICATION OF THIS NOTICE OR 30 DAYS AFTER THE DATE OF SERVICE OF A COPY OF THIS NOTICE ON THEM.

All other creditors of the decedent and other persons having claims or demands against decedent’s estate must file their claims with this court WITHIN

3 MONTHS AFTER THE DATE OF THE FIRST PUBLICATION OF THIS NOTICE. ALL CLAIMS NOT FILED WITHIN THE TIME PERIODS SET FORTH IN FLORIDA STATUTES SECTION 733.702 WILL BE FOREVER BARRED.

NOTWITHSTANDING THE TIME PERIODS SET FORTH ABOVE, ANY CLAIM FILED

TWO (2) YEARS OR MORE AFTER THE DECEDENT’S DATE OF DEATH IS BARRED.

The date of first publication of this notice is September 14, 2023.

Personal Representative: Tondalia Colon 3144 West 12th St. Jacksonville, Florida 32254

Attorney for

Personal Representative:

Candyce M. King Attorney

Florida Bar Number: 307210 King & Mannion, P.A. 2219 Park Street Jacksonville, FL 32204

Telephone: (904) 387-9886

Fax: (904) 387-9862

E-Mail: kingcandyce@bellsouth.net

Secondary E-Mail: mannion.sarah@gmail.com Sep. 14/21 00 (23-06118D)

FIRST INSERTION

NOTICE

Extra Space Storage will hold a public auction to sell personal property described below belonging to those individuals listed below at the location indicated:

6611 Southpoint Parkway, Jacksonville, FL 32216 on Tuesday, October 3rd, 2023 at 12:30 PM

Patricia Varnadohousehold goods

Renee Churchwellfurniture, boxes

Tamika Jacksonclothes small furniture

Barbara Cado - household goods

Austin Mailey - household items

Aaron Palmer - 1 bdrm apt

Kyle Labanczbedroom set, tv, boxes

Tsianina Smithhousehold items and clothes

The auction will be listed and advertised on www.storagetreasures.com. Purchases must be made with CASH ONLY and paid at the above referenced facility in order to complete the transaction.

Extra Space Storage may refuse any bid and may rescind any purchase up until the winning bidder takes possession of the personal property Sep. 14/21 00 (23-06106D)

FIRST INSERTION IN THE CIRCUIT COURT FOR DUVAL COUNTY, FLORIDA PROBATE DIVISION

File No.: 16-2023-CP-002122 Division: PR-A IN RE: ESTATE OF RUSSELL B. NEWTON, JR. aka RUSSELL BROWN NEWTON, JR., Deceased.

NOTICE TO CREDITORS

The administration of the estate of RUSSELL B. NEWTON, JR., also known as RUSSELL BROWN NEWTON, JR., deceased, whose date of death was March 12, 2023, is pending in the Circuit Court for Duval County, Florida, Probate Division, the address of which is 501 West Adams Street, Room 1173, Jacksonville, Florida 32202. The names and addresses of the personal representatives and the personal representatives’ attorney are set forth below.

All creditors of the decedent and other persons having claims or demands against decedent’s estate, on whom a copy of this notice is required to be served, must file their claims with this court ON OR BEFORE THE LATER OF 3 MONTHS AFTER THE TIME OF THE FIRST PUBLICATION OF THIS NOTICE OR 30 DAYS AFTER THE DATE OF SERVICE OF A COPY OF THIS NOTICE ON THEM.

All other creditors of the decedent and other persons having claims or demands against decedent’s estate must file their claims with this court WITHIN 3 MONTHS AFTER THE DATE OF THE FIRST PUBLICATION OF THIS NOTICE. ALL CLAIMS NOT FILED WITHIN THE TIME PERIODS SET FORTH IN FLORIDA STATUTES SECTION 733.702 WILL BE FOREVER BARRED. NOTWITHSTANDING THE TIME PERIOD SET FORTH ABOVE, ANY CLAIM FILED TWO (2) YEARS OR MORE AFTER THE DECEDENT’S DATE OF DEATH IS BARRED. The date of first publication of

THURSDAY, SEPTEMBER 14, 2023 1B JACKSONVILLE DAILY RECORD
Additional Public Notices may be accessed on JaxDailyRecord.com and the statewide legal notice website, FloridaPublicNotices.com • Duval • Clay • Nassau • St. Johns
Public Notices
Sepember 14,
Signed on
1st day of September, 2023. s/ Russell B. Newton, III RUSSELL B. NEWTON, III Personal Representative 1855 Avondale Circle Jacksonville, Florida 32205 s/ William T. M. Newton WILLIAM T. M. NEWTON Personal Representative 3915 Ortega Blvd. Jacksonville, Florida 32210 s/ Robert S. Bernstein ROBERT S. BERNSTEIN, ESQ. Attorney for Personal Representatives Florida Bar No. 967947 Foley & Lardner LLP One Independent Drive, Suite 1300 Jacksonville, Florida 32202 Telephone: (904) 359-2000 Email: rbernstein@foley.com Secondary Email: lgarrard@foley.com Sep. 14/21 00 (23-06132D)
this notice is:
2023.
this
service@owenbylawfirm.com
FIRST
E-Mail: doug@oberdorferlaw.com Secondary E-Mail: service@oberdorferlaw.com Sep. 14/21 00 (23-06115D)
INSERTION

PUBLIC NOTICES

FIRST INSERTION

NOTICE UNDER FICTITIOUS NAME LAW

According to Florida Statute Number 865.09

NOTICE IS HEREBY GIVEN that the undersigned, desiring to engage in business under the Fictitious Name of The Tebow Group located at 7700 Square Lake Blvd, in the City of Jacksonville, Duval County, Florida 32256 intends to register the said name with the Division of Corporations of the Department of State, Tallahassee, Florida.

Dated at Jacksonville, Florida, this 6th day of September, 2023. Mission Driven Services LLC Sep. 14 00 (23-06111D)

FIRST INSERTION

NOTICE UNDER FICTITIOUS NAME LAW

According to Florida Statute Number 865.09 NOTICE IS HEREBY GIVEN that the undersigned, desiring to engage in business under the Fictitious Name of Chateau-Bijou located at 10512 Collins Field Cir, in the City of Jacksonville, Duval County, Florida 32222 intends to register the said name with the Division of Corporations of the Department of State, Tallahassee, Florida.

Dated at Jacksonville, Florida, this 1st day of September, 2023.

Cheryl Joseph Sep. 14 00 (23-06142D)

FIRST INSERTION

NOTICE OF MEETINGS OTC

COMMUNITY DEVELOPMENT DISTRICT

The Board of Supervisors of the OTC Community Development District will hold their regularly scheduled public meetings for Fiscal Year 2024 at 10:30 a.m. at the offices of Riverside Management Services, Inc., 9655 Florida Mining Boulevard, Building 300, Suite 305, Jacksonville, Florida 32257 on the second Wednesday of the following months, unless otherwise indicated:

November 1, 2023

(Landowner’s Election Only)

February 14, 2024

May 8, 2024

July 10, 2024

The meetings are open to the public and will be conducted in accordance with the provision of Florida Law for Community Development Districts. The meetings may be continued to a date, time, and place to be specified on the record at the meetings. Copies of the agendas for these meetings may be obtained from Governmental Management Services, LLC, 475 West Town Place,

FIRST INSERTION IN THE FOURTH

JUDICIAL CIRCUIT COURT, IN AND FOR DUVAL COUNTY, FLORIDA

CASE NO.: 16-2023-DP-66-A DIVISION: JV-D IN THE INTEREST OF:

M.M. DOB: 12/30/2022

MINOR CHILD SUMMONS AND NOTICE OF ACTION (BY PUBLICATION)

THE STATE OF FLORIDA TO: REYNALDO MCELROY, FATHER LOCATION UNKNOWN

YOU ARE HEREBY NOTIFIED that a Petition has been filed by the State of Florida, Department of Children and Families to terminate your parental rights and permanently commit the following child for adoption: M.M. born December 30, 2022. You are hereby commanded to appear on MONDAY, OCTOBER 16, 2023, at 1:00 P.M., before the Judge W. Collins Cooper, Juvenile Division, Courtroom 202, Duval County Courthouse, 501 W Adams Street, Jacksonville, FL 32202. You MUST appear at this hearing.

FAILURE TO PERSONAL-

LY APPEAR AT THE ADVISORY HEARING CONSTITUTES

CONSENT TO THE TERMINA-

TION OF YOUR PARENTAL

RIGHTS TO M.M., AND YOU

MAY LOSE ALL LEGAL RIGHTS

AS A PARENT TO THIS CHILD.

Pursuant to Sections 39.804(4) (d) and 63.082(6)(g), Florida Statutes, you are hereby informed of the availability of private placement with an adoption entity, as defined in Section 63.032(3), Florida Statutes.

Individuals with disabilities needing a reasonable accommodation to participate in this proceeding should contact the Clerk of the Court, as soon as possible, telephone (904) 255-2000 or if hearing impaired, 1-800-9558771-(TDD); or 1800-955-8770

(V) Florida Relay Service.

WITNESS my hand as clerk of said Court and the Seal thereof, this 7th day of September, 2023.

JODY PHILLIPS, as Clerk of Court

(Court Seal)

Dominic Piscitello, Esquire Florida Bar Number: 118856

Department of Children and Families

Children’s Legal Services

1845 Town Center Blvd., Suite 240 Orange Park, FL 32003

Telephone: (904) 521-2392

Dominic.piscitello @myflfamilies.com

Barbara.rivera1 @myflfamilies.com Sep. 14/21/28, Oct. 5 00 (23-06121D)

FIRST INSERTION NOTICE UNDER FICTITIOUS NAME LAW

According to Florida Statute Number 865.09

NOTICE IS HEREBY GIVEN that the undersigned, desiring to engage in business under the Fictitious Name of WHAT’S IN STORE AGAIN LLC located at 9378 ARLINGTON EXPRESSWAY SUITE 326, in the City of Jacksonville, Duval County, Florida 32225 intends to register the said name with the Division of Corporations of the Department of State, Tallahassee, Florida.

Dated at Jacksonville, Florida, this 6th day of September, 2023.

WHATS IN STORE AGAIN Sep. 14 00 (23-06113D)

Suite 114, St. Augustine, Florida 32092, (904) 940-5850, or by visiting the District’s website, www. OTCCDD.com.

Pursuant to provisions of the Americans with Disabilities Act, any person requiring special accommodations at these meetings because of a disability or physical impairment should contact the District Office at (904) 940-5850 at least 48 hours prior to the meetings. If you are hearing or speech impaired, please contact the Florida Relay Service by dialing 7-1-1, or 1-800-955-8771 (TTY) / 1-800-955-8770 (Voice), for aid in contacting the District Office.

A person who decides to appeal any decision made at the meetings with respect to any matter considered at the meeting is advised that person will need a record of the proceedings and that accordingly, the person may need to ensure that a verbatim record of the proceedings is made, including the testimony and evidence upon which such appeal is to be based.

District Manager Sep. 14 00 (23-06127D)

FIRST INSERTION IN THE FOURTH JUDICIAL CIRCUIT COURT, IN AND FOR DUVAL COUNTY, FLORIDA

CASE NO.: 16-2022-DP-270-A

DIVISION: JV-D IN THE INTEREST OF:

G.L. DOB: 03/04/2013

MINOR CHILD SUMMONS AND NOTICE OF ACTION (BY PUBLICATION) THE STATE OF FLORIDA

TO: JASAN LUKE, FATHER LOCATION UNKNOWN YOU ARE HEREBY NOTIFIED that a Petition has been filed by the State of Florida, Department of Children and Families to terminate your parental rights and permanently commit the following child for adoption: G.L. born March 4, 2013. You are hereby commanded to appear on MONDAY, OCTOBER 16, 2023, at 1:00

P.M., before the Judge W. Collins Cooper, Juvenile Division, Courtroom 202, Duval County Courthouse, 501 W Adams Street, Jacksonville, FL 32202. You MUST appear at this hearing.

FAILURE TO PERSONAL-

LY APPEAR AT THE ADVISORY HEARING CONSTITUTES CONSENT TO THE TERMINATION OF YOUR PARENTAL RIGHTS TO G.L., AND YOU MAY LOSE ALL LEGAL RIGHTS AS A PARENT TO THIS CHILD.

Pursuant to Sections 39.804(4) (d) and 63.082(6)(g), Florida Statutes, you are hereby informed of the availability of private placement with an adoption entity, as defined in Section 63.032(3), Florida Statutes.

Individuals with disabilities needing a reasonable accommodation to participate in this proceeding should contact the Clerk of the Court, as soon as possible, telephone (904) 255-2000 or if hearing impaired, 1-800-9558771-(TDD); or 1800-955-8770 (V) Florida Relay Service.

WITNESS my hand as clerk of said Court and the Seal thereof, this 7th day of September, 2023.

JODY PHILLIPS, as Clerk of Court

By: Le My Le As Deputy Clerk (Court Seal) Dominic Piscitello, Esquire Florida Bar Number: 118856

Department of Children and Families

Children’s Legal Services 1845 Town Center Blvd., Suite 240 Orange Park, FL 32003

Telephone: (904) 521-2392

Dominic.piscitello @myflfamilies.com Barbara.rivera1 @myflfamilies.com Sep. 14/21/28, Oct. 5 00 (23-06122D)

FIRST INSERTION

NOTICE

Extra Space Storage will hold a public auction to sell personal property described below belonging to those individuals listed below at the location indicated:

100 Girvin Road, Jacksonville, Fl 32225 October 3rd, 2023 at 12:00pm

Kyla Jackson- 2 bedroom apartment (fully Furnished) Danielle LissemoreAppliances, clothes, household goods and furniture Chi-Nekqua Griffin- 3 Bed Sets, Shoes, Artwork, Shoe Racks, Totes, Toys, Household Goods Mark Brown- household goods

The auction will be listed and advertised on www.storagetreasures.com. Purchases must be made with cash only and paid at the above referenced facility in order to complete the transaction. Extra Space Storage may refuse any bid and may rescind any purchase up until the winning bidder takes possession of the personal property.

Sep. 14/21 00 (23-06133D)

FIRST INSERTION NOTICE OF BOARD OF SUPERVISORS MEETING DATES CYPRESS BLUFF COMMUNITY DEVELOPMENT DISTRICT FOR

The Board of Supervisors of the Cypress Bluff Community Development District will hold their regular meetings for Fiscal Year 2023-2024 at the eTown Welcome Center, 11003 E-Town Parkway, Jacksonville, Florida 32256 at 1:30 p.m. on the fourth Tuesday of each month unless otherwise indicated as follows:

October 24, 2023

November 21, 2023

(*third Tuesday)

December 19, 2023

(*third Tuesday)

January 23, 2024

February 27, 2024

March 26, 2024

April 23, 2024

May 28, 2024

June 25, 2024

July 23, 2024

August 27, 2024

September 24, 2024

The meetings are open to the public and will be conducted in accordance with the provision of Florida Law for Community Development Districts. The meetings may be continued to a date, time, and place to be specified on the record at the meeting. A copy of the agenda for these meetings may be obtained from Governmental Management Services, LLC, 475 West Town Place, Suite 114, St. Augustine, Florida 32092 or by calling (904) 940-5850.

There may be occasions when one or more Supervisors or staff will participate by telephone. Pursuant to provisions of the Americans with Disabilities Act, any person requiring special accommodations at these meetings because of a disability or physical impairment should contact the District Office at (904) 9405850 at least 48 hours prior to the meeting. If you are hearing or speech impaired, please contact the Florida Relay Service by dialing 7-1-1, or 1-800-955-8771 (TTY) / 1-800-955-8770 (Voice), for aid in contacting the District Office.

A person who decides to appeal any decision made at the meetings with respect to any matter considered at the meeting is advised that person will need a record of the proceedings and that accordingly, the person may need to ensure that a verbatim record of the proceedings is made, including the testimony and evidence upon which such appeal is to be based.

James Perry District Manager Sep. 14 00 (23-06126D)

FIRST INSERTION

NOTICE UNDER FICTITIOUS NAME LAW

According to Florida Statute Number 865.09

NOTICE IS HEREBY GIVEN that the undersigned, desiring to engage in business under the Fictitious Name of Veronique Boutique located at 10512 Collins Field Cir, in the City of Jacksonville, Duval County, Florida 32222 intends to register the said name with the Division of Corporations of the Department of State, Tallahassee, Florida.

Dated at Jacksonville, Florida, this 1st day of September, 2023. Cheryl Joseph Sep. 14 00 (23-06141D)

FIRST INSERTION

NOTICE

Extra Space Storage will hold a public auction to sell personal property described below belonging to those individuals listed below at the location indicated: 340 S Myrtle ave Jacksonville, Fl. 32204, 10/03/2023 at 10:00 am

Raymond Carter

Household Goods

Clarissa Ailes

Household Goods

Tanisha Mahone

Household Goods

Darlene Clark Clothes

Isadora Howell

Household Goods

The auction will be listed and advertised on www.storagetreasures.com. Purchases must be made with cash only and paid at the above referenced facility in order to complete the transaction. Extra Space Storage may refuse any bid and may rescind any purchase up until the winning bidder takes possession of the personal property.

Sep. 14/21 00 (23-06108D)

FIRST INSERTION IN THE CIRCUIT COURT, FOURTH JUDICIAL CIRCUIT, IN AND FOR DUVAL COUNTY, FLORIDA PROBATE DIVISION

File No. 16-2023-CP-002320

Division PR-A IN RE: ESTATE OF JAMES THEODORE PLUMER Deceased.

NOTICE TO CREDITORS

The administration of the estate of JAMES THEODORE PLUMER, deceased, whose date of death was July 28, 2023, is pending in the Circuit Court for DUVAL County, Florida, Probate Division, the address of which is 501 West Adams Street, Jacksonville, Florida 32202. The names and addresses of the personal representative and the personal representative’s attorney are set forth below.

All creditors of the decedent and other persons having claims or demands against decedent’s estate on whom a copy of this notice is required to be served must file their claims with this court ON OR BEFORE THE LATER OF 3 MONTHS AFTER THE TIME OF THE FIRST PUBLICATION OF THIS NOTICE OR 30 DAYS AFTER THE DATE OF SERVICE OF A COPY OF THIS NOTICE ON THEM.

All other creditors of the decedent and other persons having claims or demands against decedent’s estate must file their claims with this court WITHIN 3 MONTHS AFTER THE DATE OF THE FIRST PUBLICATION OF THIS NOTICE. ALL CLAIMS NOT FILED WITHIN THE TIME PERIODS SET FORTH IN FLORIDA STATUTES SECTION 733.702 WILL BE FOREVER BARRED.

NOTWITHSTANDING THE TIME PERIODS SET FORTH ABOVE, ANY CLAIM FILED TWO (2) YEARS OR MORE AFTER THE DECEDENT’S DATE OF DEATH IS BARRED. The date of first publication of this notice is September 14, 2023.

FIRST INSERTION

NOTICE UNDER FICTITIOUS NAME LAW

According to Florida Statute Number 865.09

NOTICE IS HEREBY GIVEN that the undersigned, desiring to engage in business under the Fictitious Name of Through The Rough located at 1348 Beach Blvd #50431, in the City of Jacksonville Beach, Duval County, Florida 32240 intends to register the said name with the Division of Corporations of the Department of State, Tallahassee, Florida.

Dated at Jacksonville, Florida, this 7th day of September, 2023. Joshua Stanley Sep. 14 00 (23-06125D)

DUVAL COUNTY

FIRST INSERTION

NOTICE UNDER FICTITIOUS NAME LAW

According to Florida Statute Number 865.09

NOTICE IS HEREBY GIVEN that the undersigned, desiring to engage in business under the Fictitious Name of HDC located at 11799 CARSONLAKE DRIVE W, in the City of JACKSONVILLE, Duval County, Florida 32221 intends to register the said name with the Division of Corporations of the Department of State, Tallahassee, Florida. Dated at Jacksonville, Florida, this 6th day of September, 2023. HDC Sep. 14 00 (23-06114D)

FIRST INSERTION

IN THE CIRCUIT COURT, FOURTH JUDICIAL CIRCUIT, IN AND FOR DUVAL COUNTY, FLORIDA CASE NO. 16-2023-CA-009016 Division CV-B CHARLES S. HAMILTON, Plaintiff, vs. GEORGE FORD and DOLLIE BROWN FORD, his wife, etc. et al;

Defendants,

NOTICE OF ACTION

TO: GEORGE FORD and DOLLIE BROWN FORD, his wife, both if living and if deceased, their unknown spouses, heirs, devisees, grantees, creditors and all other parties claiming by, through, under or against them;

Residence(s): Unknown

Last Known mailing address: 1072 Fraizer Street Jacksonville, Florida 32209 PATRICIA C. FORD, if living and if deceased, her unknown spouses, heirs, devisees, grantees, creditors and all other parties claiming by, through, under or against her; Residence(s): Unknown

Last known mailing address:

1072 Fraizer Street Jacksonville, Fl 32209 GEORGETTE F. BRUNER, if living and if deceased, her unknown spouses, heirs, devisees, grantees, creditors and all other parties claiming by, through, under or against her;

Residence(s): Unknown

Last known mailing address:

10121 International Blvd Apt 307 Oakland, CA 94603

BARBARA F. DUCKER if living and if deceased, her unknown spouses, heirs, devisees, grantees, creditors and all other parties claiming by, through, under or against her; Residence(s): Unknown

Last known mailing address: 2035 Sand Point Road Discovery Bay, CA 94505

YOU ARE NOTIFIED that an action to quiet title on the following property in Duval County, Florida: Lots 3 and 4, Block 6 of HENDERSONVILLE, according to the Plat thereof as recorded in Plat book 4, Page(s) 77, of the Public Records of Duval County, Florida. has been filed against you and you are required to serve a copy of your written defenses, if any, to it on BERNARD & SCHEMER, ESQUIRE, Plaintiffs attorney, whose address is 480 Busch Drive, Jacksonville, Florida 32218, on or before October 16, 2023 or within 35 days of the first date of publication of this notice, and file the original with the Clerk of this Court either before service on Plaintiff’s attorney or immediately thereafter; otherwise, a default will be entered against you for the relief demanded in the complaint or petition.

WITNESS my hand and the seal of this Court on the 6th day of September, 2023.

JODY PHILLIPS Clerk of the Court

By:

Clerk Sep. 14/21/28, Oct. 5 00 (23-06134D)

NOTICE OF PUBLIC HEARINGS

NOTICE is hereby given that the following Public Hearing will be held at City Hall, in the Council Chambers, 1st floor, 117 W. Duval Street, St. James Building, concerning the following ordinance: ORDINANCE 2023-0555

AN ORDINANCE REGARDING CHAPTER 745 (ADDRESSING AND STREET NAMING REGULATIONS) ORDINANCE CODE; ESTABLISHING AN HONORARY STREET DESIGNATION AND ASSOCIATED ROADWAY MARKERS FOR REVERAND ANDREW BROOKER COLEMAN, JR.; ESTABLISHING AN HONORARY STREET DESIGNATION ON MONCRIEF ROAD EXTENDING FROM VOORHIES STREET MEHARRY STREET IN COUNCIL DISTRICT 10 FOR REVERAND ANDREW BROOKER COLEMAN, JR.; PROVIDING FOR THE INSTALLATION OF TWO HONORARY ROADWAY MARKERS TO BE LOCATED IN APPROPRIATE LOCATIONS ON THE DESIGNATED ROAD IN COUNCIL DISTRICT 10; WAIVER OF SECTION 745.105 (I)(30 WHICH REQUIRES THAT THE HONOREE LIVE IN THE COMMUNITY WITHIN FIVE MILES OF THE STREET BEING DESIGNATED FOR AT LEAST 10 YEARS; DIRECTING THE LEGISLATIVE SERVICES DIVISION TO FORWARD THIS ORDINANCE TO THE PLANNING AND DEVELOPMENT DEPARTMENT, ADDRESSING DIVISION FOR PROCESSING, IMPLEMENTATION AND COORDINATION WITH THE PUBLIC WORKS DEPARTMENT, TRAFFIC ENGINEERING AND OTHER AFFECTED AGENCIES AND ORGANIZATIONS; PROVIDING AN EFFECTIVE DATE. CITY COUNCIL PUBLIC HEARING

5:00 P.M., TUESDAY, SEPT 26, 2023

Rules

2:00 P.M. MONDAY, OCT 2, 2023

Transportation, Energy and Utilities Committee public hearing

2:00 P.M. TUESDAY, OCT 3, 2023

The Public Hearing is being conducted in accordance with Section 745.105, Ordinance Code and Section 166.041, Florida Statutes.

A copy of the proposed ordinance is available for public inspection in the Legislative Services Division, located on the fourth floor of City Hall, between the hours of 8:00 a.m. and 5:00 p.m., Monday through Friday. All interested persons are invited to review the proposed ordinance and to appear at the public hearings and be heard regarding the adoption of the proposed ordinance.

Interested persons are advised that, if a person decides to appeal any decision made with respect to any matter considered at a hearing, he or she will need a record of the proceedings, and that, for such purpose, he or she may need to ensure that a verbatim record of the proceedings is made, which record includes the testimony and evidence upon which the appeal is to be based.

Persons needing special accommodations to attend any hearing noticed hereinabove shall contact the Legislative Services Division at 904-6301404 not less than 48 hours before a hearing or meeting in order to make arrangements.

Ron Salem City Council President

Margaret “Peggy” Sidman Council Director/Secretary

Dated

2B THURSDAY, SEPTEMBER 14, 2023 JACKSONVILLE DAILY RECORD
Maria Tyece Roy 8208 SW 42nd
Attorney for Personal Representative: DOUGLAS A. OBERDORFER, Esquire Attorney Florida Bar Number: 0139092 432 East Monroe Street Jacksonville, Florida 32202 Telephone: (904) 354-5454 Fax: (904) 350-9803 E-Mail: doug@oberdorferlaw.com Secondary E-Mail: service@oberdorferlaw.com Sep. 14/21 00 (23-06116D)
Personal Representative:
Avenue Gainesville, Florida 32068
FISCAL YEAR 2023-2024
this 7TH Day of September Sep. 14 00 (23-06124D) FIRST INSERTION

PUBLIC NOTICES

FIRST INSERTION IN THE FOURTH JUDICIAL CIRCUIT COURT, IN AND FOR DUVAL COUNTY, FLORIDA

CASE NO.: 16-2023-DP-09-AB

DIVISION: JV-D

IN THE INTEREST OF:

A.S. DOB: 11/09/2016

D.R. DOB: 09/19/2017

MINOR CHILDREN SUMMONS AND NOTICE OF ACTION (BY PUBLICATION)

THE STATE OF FLORIDA

TO: DEFAN RECHELULK, FATHER LOCATION UNKNOWN

YOU ARE HEREBY NOTIFIED that a Petition has been filed by the State of Florida, Department of Children and Families to terminate your parental rights and permanently commit the following children for adoption: A.S. born November 9, 2016, and D.R. born September 19, 2017. You are hereby commanded to appear on MONDAY, OCTOBER 16, 2023, at 1:00 P.M., before the Judge W. Collins Cooper, Juvenile Division, Courtroom 202, Duval County Courthouse, 501 W Adams Street, Jacksonville, FL 32202. You MUST appear at this hearing.

FAILURE TO PERSONALLY APPEAR AT THE ADVISORY HEARING CONSTITUTES CONSENT TO THE TERMINATION OF YOUR PARENTAL RIGHTS TO A.S. AND D.R., AND YOU MAY LOSE ALL LEGAL RIGHTS

AS A PARENT TO THESE CHILDREN.

Pursuant to Sections 39.804(4) (d) and 63.082(6)(g), Florida Statutes, you are hereby informed of the availability of private placement with an adoption entity, as defined in Section 63.032(3), Florida Statutes.

Individuals with disabilities needing a reasonable accommodation to participate in this proceeding should contact the Clerk of the Court, as soon as possible, telephone (904) 255-2000 or if hearing impaired, 1-800-9558771-(TDD); or 1800-955-8770 (V) Florida Relay Service. WITNESS my hand as clerk of said Court and the Seal thereof, this 7th day of September, 2023.

JODY PHILLIPS, as Clerk of Court

As Deputy Clerk (Court Seal) Dominic Piscitello, Esquire Florida Bar Number: 118856 Department of Children and Families

Children’s Legal Services 1845 Town Center Blvd., Suite 240 Orange Park, FL 32003 Telephone: (904) 521-2392

Dominic.piscitello @myflfamilies.com Barbara.rivera1 @myflfamilies.com Sep. 14/21/28, Oct. 5 00 (23-06123D)

FIRST INSERTION

IN THE CIRCUIT COURT OF THE FOURTH JUDICIAL CIRCUIT IN AND FOR DUVAL COUNTY, FLORIDA

CASE NO. 16-2023-CA-009258

Division: FC-F

MIDFIRST BANK

Plaintiff,

v. THE UNKNOWN HEIRS, GRANTEES, DEVISEES, LIENORS, TRUSTEES, AND CREDITORS OF DONNA A. BARTLETT A/K/A DONNA BARTLETT A/K/A DONNA A. SAWYER, DECEASED, ET AL.

Defendants.

NOTICE OF ACTION

TO: THE UNKNOWN HEIRS, GRANTEES, DEVISEES, LIENORS, TRUSTEES, AND CREDITORS OF DONNA A. BARTLETT A/K/A DONNA BARTLETT A/K/A DONNA A. SAWYER, DECEASED

Current Residence

Unknown, but whose last known address was:

708 VIRGINIA ST, JACKSONVILLE, FL 32208-4949

YOU ARE NOTIFIED that an action to foreclose a mortgage on the following property in Duval County, Florida, to-wit:

LOT 4, BLOCK 4, NELMS

SUBDIVISION OF LOT 14, PANAMA PARK, ACCORDING TO THE PLAT THEREOF AS RECORDED IN PLAT BOOK 3, PAGE 16 OF THE CURRENT PUBLIC RECORDS OF DUVAL COUNTY, FLORIDA. has been filed against you and

you are required to serve a copy of your written defenses, if any, to it on eXL Legal, PLLC, Plaintiff’s attorney, whose address is 12425 28th Street North, Suite 200, St. Petersburg, FL 33716, within thirty (30) days after the first publication of this Notice of Action, and file the original with the Clerk of this Court at 501 West Adams Street, Room 1208, Jacksonville, FL 32202, either before service on Plaintiff’s attorney or immediately thereafter; otherwise, a default will be entered against you for the relief demanded in the complaint petition.

Americans With Disabilities Act

(ADA) Notice

In accordance with the Americans with Disabilities Act of 1990 (ADA),

If you are a person with a disability who needs any accommodation in order to participate in this proceeding, you are entitled at no cost to you, to the provision of certain assistance. Please contact the ADA Coordinator at crtintrp@coj.net or (904) 2551695 at least 7 days before your scheduled court appearance, or immediately upon receiving this notification if the time before the scheduled appearance is less than 7 days; if you are hearing or voice impaired, call 711.

WITNESS my hand and seal of the Court on this 7th day of September, 2023.

1000009129 Sep. 14/21 00 (23-06148D)

FIRST INSERTION

IN THE CIRCUIT COURT, FOURTH JUDICIAL CIRCUIT, IN AND FOR DUVAL COUNTY, FLORIDA

CASE NO.: 16-2022-CA-003274 DIVISION: CV-H CITY OF JACKSONVILLE, Plaintiff, vs. ANNIE LOISE MATTHEWS, if living and if deceased, her unknown spouses, heirs, devisees, grantees, creditors and all other parties claiming by, through, under or against her and QUEEN MATTHEWS, if living and if deceased, her unknown spouses, heirs, devisees, grantees, creditors and all other parties claiming by, through, under or against her, Defendants.

NOTICE OF ACTION

TO: QUEEN MATTHEWS, if living and if deceased, her unknown spouses, heirs, devisees, grantees, creditors and all other parties claiming by, through, under or against her.

Residence:

8164 Jeanwood Drive, Jacksonville, FL 32210

Last Known mailing address:

8164 Jeanwood Drive, Jacksonville, FL 32210

YOU ARE NOTIFIED that an action to quiet title on the following property in Duval County, Florida: Lot(s) 10 and 11, Block

6, Moncrief Park, according to the map or plat thereof, as recorded in Plat Book

6, Page(s) 8, of the Public Records of Duval County, Florida has been filed against you and

IN THE CIRCUIT COURT, FOURTH JUDICIAL CIRCUIT, IN AND FOR DUVAL COUNTY, FLORIDA CASE NO.: 16-2023-CC-001072

DIVISION: CC-P VYSTAR CREDIT UNION, Plaintiff, vs. AUSTYN LAUDE, Defendant.

NOTICE OF ACTION

To the following Defendant: Austyn Laude 5343 PELICAN WAY St Augustine, FL 32080-151 OR Whose Residence is Unknown YOU ARE HEREBY NOTIFIED that an action for damages has been filed against you and you are required to serve a copy of your written defenses, if any, to it on Jimerson Birr, P.A. whose address is One Independent Drive, Suite 1400, Jacksonville, Florida 32202, and file the original with the Clerk of the above-styled Court on or before thirty (30) days from the first publication, otherwise a Judgment may be entered against

you for the relief demanded in the Complaint. Americans With Disabilities Act (ADA) Notice In accordance with the Americans with Disabilities Act of 1990 (ADA), If you are a person with a disability who needs any accommodation in order to participate in this proceeding, you are entitled at no cost to you, to the provision of certain assistance. Please contact the ADA Coordinator at crtintrp@coj.net or (904) 2551695 at least 7 days before your scheduled court appearance, or immediately upon receiving this notification if the time before the scheduled appearance is less than 7 days; if you are hearing or voice impaired, call 711.

WITNESS my hand and the seal of this Court this 7th day of September, 2023.

JODY PHILLIPS Clerk of the Circuit Court Duval County, Florida

As Clerk of the Court by:

By: Victoria Lombardo

As Deputy Clerk (Court Seal) Sep. 14/21/28, Oct. 5 00 (23-06145D)

FIRST INSERTION

IN THE CIRCUIT COURT OF THE FOURTH JUDICIAL CIRCUIT IN AND FOR DUVAL COUNTY, FLORIDA GENERAL JURISDICTION DIVISION

CASE NO. 16-2023-CA-009800 Division: FC-E LOANCARE, LLC, Plaintiff, vs. THE UNKNOWN HEIRS, BENEFICIARIES, DEVISEES, GRANTEES, ASSIGNEES, LIENORS, CREDITORS, TRUSTEES AND ALL OTHERS WHO MAY CLAIM AN INTEREST IN THE ESTATE OF WILLIAM GREEN, DECEASED, et al., Defendant(s),

NOTICE OF ACTIONCONSTRUCTIVE SERVICE

TO: THE UNKNOWN HEIRS, BENEFICIARIES, DEVISEES, GRANTEES, ASSIGNEES, LIENORS, CREDITORS, TRUSTEES AND ALL OTHERS WHO MAY CLAIM AN INTEREST IN THE ESTATE OF WILLIAM GREEN, DECEASED, whose residence is unknown if he/she/they be living; and if he/she/they be dead, the unknown defendants who may be spouses, heirs, devisees, grantees, assignees, lienors, creditors, trustees, and all parties claiming an interest by, through, under or against the Defendants, who are not known to be dead or alive, and all parties having or claiming to have any right, title or interest in the property described in the

mortgage being foreclosed herein.

YOU ARE HEREBY NOTIFIED that an action to foreclose a mortgage on the following property: THE EAST HALF OF LOT

1, BLOCK 32, NEW SPRINGFIELD, ACCORDING TO THE PLAT THEREOF AS RECORDED IN PLAT BOOK 2, PAGE 69 AND 70, PUBLIC RECORDS OF DUVAL COUNTY, FLORIDA. has been filed against you and you are required to serve a copy of your written defenses, if any, to it on counsel for Plaintiff, whose address is 6409 Congress Ave., Suite 100, Boca Raton, Florida 33487 on or before 30 days from Date of First Publication of this Notice and file the original with the clerk of this court either before service on Plaintiff’s attorney or immediately thereafter; otherwise a default will be entered against you for the relief demanded in the complaint or petition filed herein.

WITNESS my hand and the seal of this Court at County, Florida, this 6th day of September, 2023.

JODY PHILLIPS CLERK OF THE CIRCUIT COURT

By: Alice V. Griffin Deputy Clerk (Court Seal) ROBERTSON, ANSCHUTZ, AND SCHNEID, PL ATTORNEY FOR PLAINTIFF 6409 Congress Ave., Suite 100 Boca Raton, FL 33487 PRIMARY EMAIL: flmail@raslg. com 23-108099 Sep. 14/21 00 (23-06137D)

FIRST INSERTION

Notice of Public Sale

Pursuant F.S. 328.17, United American Lien & Recovery as agent w/ power of attorney will sell the following vessel(s) to the highest bidder. Inspect 1 week prior @ marina; cash or cashier check; all auctions are held w/ reserve; any persons interested ph 954-563-1999

Sale Date October 6, 2023 @ 10:00 am 3411 NW 9th Ave #707 Ft Lauderdale FL 33309 V13007 1986 HWS FL2539TF Hull ID#: HWS34344J788 sail pleasure other fiberglass 34ft

R/O Mark Frances Johnson Lienor: Windward Sadler Point 4599 Lakewside Dr Jacksonville Licensed Auctioneers FLAB422 FLAU765 & 1911 Sep. 14/21 00 (23-06140D)

DUVAL COUNTY

FIRST INSERTION

NOTICE UNDER FICTITIOUS NAME LAW

According to Florida Statute Number 865.09

NOTICE IS HEREBY GIVEN that the undersigned, desiring to engage in business under the Fictitious Name of First Coast Criminal Defense located at 1805 Copeland St, in the City of Jacksonville, Duval County, Florida 32204 intends to register the said name with the Division of Corporations of the Department of State, Tallahassee, Florida.

Dated at Jacksonville, Florida, this 8th day of September, 2023. Nicholas King

By: Monroe & King, P.A. Sep. 14 00 (23-06157D)

FIRST INSERTION

IN THE CIRCUIT COURT, FOURTH JUDICIAL CIRCUIT, IN AND FOR DUVAL COUNTY, FLORIDA CASE NO.: 16-2022-CA-005419 DIVISION: CV-E

CITY OF JACKSONVILLE, Plaintiff, vs. JOSEPH JOHNSON, if living and if deceased, his unknown spouses, heirs, devisees, grantees, creditors and all other parties claiming by, through, under or against him, STATE OF FLORIDA, and DUVAL COUNTY CLERK OF THE COURT, Defendants.

NOTICE OF ACTION

TO: JOSEPH JOHNSON, if living and if deceased, his unknown spouses, heirs, devisees, grantees, creditors and all other parties claiming by, through, under or against him

Residence: 1176 29th Street West, Jacksonville, FL 32209

Last Known mailing address: 1176 29th Street West, Jacksonville, FL 32209

YOU ARE NOTIFIED that an action to quiet title on the following property in Duval County, Florida:

Lot (s) 2 and 3, Block 40, Replat Number 2 of Royal Terrace, according to the map or plat thereof, as recorded in Plat Book 7, Page(s) 19, of the Public Records of Duval County, Florida. has been filed against you and you are required to serve a copy

IN THE CIRCUIT COURT OF THE 4TH JUDICIAL CIRCUIT IN AND FOR DUVAL COUNTY, FLORIDA

CASE NO.: 16-2017-CA-002899

DIVISION FC-G

WELLS FARGO BANK, NATIONAL ASSOCIATION AS TRUSTEE FOR OPTION ONE MORTGAGE LOAN TRUST

of your written defenses, if any, to it on James Millard, whose address is Office of General Counsel, City of Jacksonville, 117 West Duval Street, Suite 480, Jacksonville, Florida 32202, (904) 255-5100, on or before October 17, 2023, or within 35 days of the first date of publication of this notice, and file the original with the Clerk of this Court either before service on Plaintiff’s attorney or immediately thereafter; otherwise, a default will be entered against you for the relief demanded in the complaint or petition.

Americans With Disabilities Act

(ADA) Notice

In accordance with the Americans with Disabilities Act of 1990 (ADA), If you are a person with a disability who needs any accommodation in order to participate in this proceeding, you are entitled at no cost to you, to the provision of certain assistance. Please contact the ADA Coordinator at crtintrp@coj.net or (904) 255-1695 at least 7 days before your scheduled court appearance, or immediately upon receiving this notification if the time before the scheduled appearance is less than 7 days; if you are hearing or voice impaired, call 711.

WITNESS my hand and the seal of this Court on the 7th day of September, 2023.

JODY PHILLIPS Clerk of the Court

Pamela R.

As Deputy Clerk (Court Seal) Sep. 14/21/28, Oct. 5 00 (23-06144D)

TO THE PLAT THEREOF RECORDED IN PLAT BOOK

5, PAGE 76, IF THE CURRENT PUBLIC RECORDS OF DUVAL COUNTY, FLORIDA. LOTS 34 AND 35, BLOCK 16, LINCOLN VILLAS, ACCORDING TO THE PLAT THEREOF RECORDED IN PLAT BOOK

you are required to serve a copy of your written defenses, if any, to it on James Millard, whose address is Office of General Counsel, City of Jacksonville, 117 West Duval Street, Suite 480, Jacksonville, Florida 32202, (904) 255-5100, on or before October 17, 2023 or within 35 days of the first date of publication of this notice, and file the original with the Clerk of this Court either before service on Plaintiff’s attorney or immediately thereafter; otherwise, a default will be entered against you for the relief demanded in the complaint or petition.

Americans With Disabilities Act

(ADA) Notice

In accordance with the Americans with Disabilities Act of 1990 (ADA), If you are a person with a disability who needs any accommodation in order to participate in this proceeding, you are entitled at no cost to you, to the provision of certain assistance. Please contact the ADA Coordinator at crtintrp@coj.net or (904) 255-1695 at least 7 days before your scheduled court appearance, or immediately upon receiving this notification if the time before the scheduled appearance is less than 7 days; if you are hearing or voice impaired, call 711.

WITNESS my hand and the seal of this Court on the 7th day of September, 2023.

(Court

00 (23-06146D)

IN THE CIRCUIT COURT, FOURTH JUDICIAL CIRCUIT, IN AND FOR DUVAL COUNTY, FLORIDA CASE NO.: 16-2023-CA-008590 DIVISION: CV-D DEBORAH “DEBBIE” JONES, Plaintiff, vs. RUKAB BROTHERS, INC., a dissolved Florida corporation; LINDA S. SHUNNARAH, as Trustee of the Living Trust Agreement of Abrah David Sallah Dated December 17, 2004; THE UNKNOWN HEIRS OF ROSE MARY SALLAH; THE UNKNOWN HEIRS OF ISSA

A. BATEH; ABRAHAM I. BATEH as the Trustee of the Mary I. Bateh Family Trust; THE UNKNOWN HEIRS OF NASRALLAH GAZALEH; JABRA GAZALEH, ZAKI GAZALEH, and FOUD GAZALEH, as the heirs of Zareefeh Gazaleh; THE UNKNOWN HEIRS OF ASMA GAZALEH; GLORIA OBIE, DELORES KALEEL, MIRANDA RIX (f/k/a Miranda Shepherd), and DINAH ATALAH, as the heirs of Canaan Gazaleh and Fred C. Gazaleh; BUDIR GAZALEH, as the heir of Fred C. Gazaleh and and Zahiya Gazaleh; IDA G. KHOURY, MARTHA KASEES, JENNIFER PONSELL RABY, and ADAM PONSELL, as heirs of Zahiya Gazaleh; FRANK GAZALEH, FRED K. GAZALEH, and JAMAL JASON GAZALEH, as heirs of Kamil Fred Gazaleh; THE UNKNOWN HEIRS OF FRED F. GAZALEH a/k/a FADLALLAH GAZALEH; NABEEL RUKAB and BASIM RUKAB, as heirs of Paul N. Rukab, Defendants.

AMENDED SECOND

NOTICE OF ACTION

THE UNKNOWN HEIRS OF ASMA GAZALEH, THE UNKNOWN HEIRS OF FRED F. GAZALEH a/k/a FADLALLAH GAZALEH, LINDA

S. SHUNNARAH, THE UNKNOWN HEIRS OF ROSE MARY SALLAH, and THE UNKNOWN HEIRS OF NASRALLAH GAZALEH: YOU ARE HEREBY NOTIFIED that an action for quiet title related to the real property located at 11231 Ramallah Road, Jacksonville, FL 32219 has been filed against you and you are required to serve a copy of your written defenses, if any, to it on Adam B. Edgecombe, Esquire, whose address is Cobb & Gonzalez, P.A., 4655 Salisbury Road, Suite 200, Jacksonville, Florida 32256, and file the original with the Clerk of the above-styled Court on or before thirty-five (35) days from the first publication, otherwise a Judgment may be entered against you for the relief demanded in the Complaint.

Americans With Disabilities Act (ADA) Notice

In accordance with the Americans with Disabilities Act of 1990 (ADA),

If you are a person with a disability who needs any accommodation in order to participate in this proceeding, you are entitled at no cost to you, to the provision of certain assistance. Please contact the ADA Coordinator at crtintrp@coj.net or (904) 2551695 at least 7 days before your scheduled court appearance, or immediately upon receiving this notification if the time before the scheduled appearance is less than 7 days; if you are hearing or voice impaired, call 711.

WITNESS my hand and the seal of this Court this 7th day of September, 2023.

2006-1, ASSET-BACKED CERTIFICATES, SERIES 2006-1, Plaintiff,

vs. BARBARA LEWIS SMITH

A/K/A BARBARA L. SMITH; UNKNOWN SPOUSE OF BARBARA LEWIS SMITH

A/K/A BARBARA L. SMITH; UNKNOWN TENANT #1; UNKNOWN TENANT #2, Defendant(s). RE-NOTICE OF SALE

PURSUANT TO CHAPTER 45 NOTICE OF SALE IS HEREBY

GIVEN pursuant to the order of Uniform Final Judgment of Foreclosure dated November 14, 2017, and entered in Case No. 16-2017CA-002899 of the Circuit Court of the 4TH Judicial Circuit in and for Duval County, Florida, wherein Wells Fargo Bank, National Association as Trustee for Option One Mortgage Loan Trust 2006-1, Asset-Backed Certificates, Series

2006-1, is Plaintiff and Barbara Lewis Smith a/k/a Barbara L. Smith, Unknown Spouse of Barbara Lewis Smith a/k/a Barbara L. Smith, Unknown Tenant #1, Unknown Tenant #2, are Defendants, the Office of the Clerk, Duval County Clerk of the Court will sell to the highest bidder or bidders via online auction at: www.duval.realforeclose.com at 11:00 a.m. on the 10th day of October, 2023, the following described property as set forth in said Final Judgment, to wit: LOTS 22, 23, 24, 25, 26, 27, 28, AND 29, BLOCK 16, LINCOLN VILLAS, ACCORDING TO THE PLAT THEREOF RECORDED IN PLAT BOOK 5, PAGE 76, OF THE CURRENT PUBLIC RECORDS OF DUVAL COUNTY, FLORIDA. LOT 33, BLOCK 16, LINCOLN VILLAS, ACCORDING

5, PAGE 76, OF THE CURRENT PUBLIC RECORDS OF DUVAL COUNTY, FLORIDA. LESS AND EXCEPT ANY PORTION LYING WITHIN MONCRIEF ROAD. Property Address: 5941 Moncrief Rd W, Jacksonville, Florida 32219 and all fixtures and personal property located therein or thereon, which are included as security in Plaintiff’s mortgage. Any person claiming an interest in the surplus funds from the sale, if any, other than the property owner as of the date of the lis pendens must file a claim before the clerk reports the surplus as unclaimed.

Americans With Disabilities Act

(ADA) Notice

If you are a person with a disability who needs any accommodation in order to participate in this proceeding, you are entitled, at no cost to you, to the provision of certain assistance. Please contact the ADA Coordinator at (904) 255-1695 or Dcrtintrp@coj.net at least 7 days before your scheduled court appearance, or immediately upon receiving this notification if the time before the scheduled appearance is less than 7 days; if you are hearing or voice impaired, call 711.

Dated: September 6, 2023

JODY PHILLIPS As Clerk of said Court

By: Brittany Weimer As Deputy Clerk (Court Seal) McCabe, Weisberg

THURSDAY, SEPTEMBER 14, 2023 3B JACKSONVILLE DAILY RECORD
3222
West Palm Beach, Florida, 33407 Telephone: (561)
Email: FLpleadings@mwc-law.com Sep. 14/21 00 (23-06138D) FIRST INSERTION
& Conway, LLC
Commerce Place, Suite A
713-1400
JODY PHILLIPS Clerk of the Circuit Court Duval County, Florida As Clerk of the Court by: By: Joy E. Rodriguez As Deputy Clerk (Court Seal) Sep. 14/21/28, Oct. 5 00 (23-06147D) FIRST INSERTION
5
As
Seal) Sep. 14/21/28, Oct.
FIRST
INSERTION

FIRST INSERTION

NOTICE UNDER FICTITIOUS NAME LAW

According to Florida Statute Number 865.09

NOTICE IS HEREBY GIVEN that the undersigned, desiring to engage in business under the Fictitious Name of Your Digital Beginnings located at 1010 East Adams St, in the City of Jacksonville, Duval County, Florida 32202 intends to register the said name with the Division of Corporations of the Department of State, Tallahassee, Florida.

Dated at Jacksonville, Florida, this 10th day of September, 2023. Creative Business Branding Sep. 14 00 (23-06177D)

FIRST INSERTION

NOTICE UNDER FICTITIOUS NAME LAW

According to Florida Statute Number 865.09

NOTICE IS HEREBY GIVEN that the undersigned, desiring to engage in business under the Fictitious Name of Pom Frenzy located at 12750 Marsh Cove Drive South, in the City of Jacksonville, Duval County, Florida 32224 intends to register the said name with the Division of Corporations of the Department of State, Tallahassee, Florida. Dated at Jacksonville, Florida, this 9th day of September, 2023. Ainsley Myers Sep. 14 00 (23-06175D)

FIRST INSERTION IN THE CIRCUIT COURT OF THE FOURTH JUDICIAL CIRCUIT, IN AND FOR DUVAL COUNTY, FLORIDA. CASE No. 16-2023-CA-000174 DIVISION: FC-C

U.S. BANK NATIONAL ASSOCIATION, AS TRUSTEE, ON BEHALF OF THE HOLDERS OF THE ASSET BACKED SECURITIES CORPORATION HOME EQUITY LOAN TRUST, SERIES NC 2005-HE8, ASSET BACKED PASS-THROUGH CERTIFICATES, SERIES NC 2005-HE8, PLAINTIFF, VS. RICKY D. MORGAN , ET AL. DEFENDANT(S).

NOTICE OF FORECLOSURE SALE

NOTICE IS HEREBY GIVEN pursuant to the Final Judgment of Foreclosure dated August 16, 2023, in the above action, I will sell to the highest bidder for cash at Duval County, Florida, on October 17, 2023, at 11:00 AM, at: www.duval.realforeclose.com for the following described property: LOT 23, OAK HILL, UNIT 23, ACCORDING TO PLAT THEREOF RECORDED IN PLAT BOOK 39, PAGES 71 AND 71A OF THE CURRENT PUBLIC RECORDS OF DUVAL COUNTY, FLORIDA.

FIRST INSERTION

IN THE CIRCUIT COURT, FOURTH JUDICIAL CIRCUIT, IN AND FOR DUVAL COUNTY, FLORIDA CASE NO.: 16-2023-CP-002361

DIVISION: PR-B

IN RE: ESTATE OF NORMA MANNING

LEUTHOLD, Deceased.

NOTICE TO CREDITORS

If you have been served with a copy of this notice and you have any claim or demand against the decedent’s estate, even if that claim is unmatured, contingent, or unliquidated, you must file your claim with the court ON OR BEFORE THE LATER OF A DATE THAT IS 3 MONTHS AFTER THE FIRST PUBLICATION OF THIS NOTICE OR 30 DAYS AFTER YOU RECEIVE A COPY OF THIS NOTICE.

All other creditors of the decedent and other persons who have claims or demands against the decedent’s estate, including unmatured, contingent, or unliquidated claims, must file their claims with the court ON OR BEFORE THE DATE THAT IS 3 MONTHS AFTER THE FIRST PUBLICATION OF THIS NOTICE.

ALL CLAIMS NOT FILED WITHIN THE PERIODS SET FORTH IN SECTION 733.302, FLORIDA STATUTES, WILL BE FOREVER BARRED.

EVEN IF A CLAIM IS NOT BARRED BY THE LIMITATIONS DESCRIBED ABOVE, ALL CLAIMS THAT HAVE NOT BEEN FILED WILL BE BARRED TWO YEARS AFTER DECEDENT’S DEATH.

The address of the court where this probate is pending is: 501 W. Adams Street, Jacksonville, FL 32202. The date of death of the decedent is: July 8, 2023.

The date of first publication of this notice is: September 14, 2023.

Petitioner:

Duane W. Leuthold, Jr.

c/o Law Offices of Mark F. Moss, PLLC 12276 San Jose Blvd., Suite 520 Jacksonville, FL 32223

Attorney for Petitioner MARK F. MOSS,

FIRST INSERTION IN THE CIRCUIT COURT OF THE FOURTH JUDICIAL CIRCUIT IN AND FOR DUVAL COUNTY, FLORIDA CASE NO: 16-2023-CA-000557

DIVISION: FC-A DEUTSCHE BANK NATIONAL TRUST COMPANY, AS TRUSTEE, FOR LONG BEACH MORTGAGE LOAN TRUST 2006-WL1, ASSET-BACKED CERTIFICATES, SERIES 2006-WL1, Plaintiff, v. BLAINE BISHOP; ET. AL., Defendant(s)

FIRST INSERTION

IN THE CIRCUIT COURT FOR DUVAL COUNTY, FLORIDA PROBATE DIVISION

File No. 16-2023-CP-002306

DIVISION PR-A

IN RE: ESTATE OF ROY WILLIAMS Deceased.

NOTICE TO CREDITORS

FIRST INSERTION

IN THE CIRCUIT COURT FOR DUVAL COUNTY, FLORIDA PROBATE DIVISION File No. 16-2023-CP-002322 Division PR-A IN RE: ESTATE OF IRENE FERRETTI, Deceased.

NOTICE TO CREDITORS

Any person claiming an interest in the surplus from the sale, if any, other than the property owner as of the date of the lis pendens must file a claim before the clerk reports the surplus as unclaimed. The Court, in its discretion, may enlarge the time of the sale. Notice of the changed time of sale shall be published as provided herein.

Americans With Disabilities Act (ADA) Notice In accordance with the Americans with Disabilities Act of 1990 (ADA), If you are a person with a disability who needs any accommodation in order to participate in this proceeding, you are entitled at no cost to you, to the provision of certain assistance.

Please contact the ADA Coordinator at crtintrp@coj.net or (904) 2551695 at least 7 days before your scheduled court appearance, or immediately upon receiving this notification if the time before the scheduled appearance is less than 7 days; if you are hearing or voice impaired, call 711.

Date: September 7, 2023

JODY PHILLIPS Clerk of the Circuit Court

NOTICE OF SALE UNDER FLA. STAT. CHAPTER 45 NOTICE IS GIVEN that, in accordance with the Consent Final Judgment of Foreclosure, dated July 28, 2023, in the above-styled cause, the Clerk of Circuit Court, Jody Phillips, shall sell the subject property at public sale on the 27th day of November, 2023, at 11:00 am to the highest and best bidder for cash, at www.duval.realforeclose.com on the following described property:

LOT 13, BLOCK 6, SAN SOUCI MANOR, ACCORDING TO THE PLAT THEREOF, AS RECORDED IN PLAT BOOK 27, PAGES 70 AND 70A, OF THE CURRENT PUBLIC RECORDS OF DUVAL COUNTY, FLORIDA.

Property Address: 6221 Stetler Drive, Jacksonville, FL 32216.

Any person claiming an interest in the surplus from the sale, if any, other than the property owner as of the date of the lis pendens must file a claim before the clerk reports the surplus as unclaimed. Americans With Disabilities Act (ADA) Notice

The administration of the estate of Roy Williams, deceased, whose date of death was March 26, 2023, is pending in the Circuit Court for Duval County, Florida, Probate Division, the address of which is 501 W. Adams St., Jacksonville, FL 32202. The names and addresses of the personal representative and the personal representative’s attorney are set forth below. All creditors of the decedent and other persons having claims or demands against decedent’s estate on whom a copy of this notice is required to be served must file their claims with this court ON OR BEFORE THE LATER OF 3 MONTHS AFTER THE TIME OF THE FIRST PUBLICATION OF THIS NOTICE OR 30 DAYS AFTER THE DATE OF SERVICE OF A COPY OF THIS NOTICE ON THEM.

All other creditors of the decedent and other persons having claims or demands against decedent’s estate must file their claims with this court WITHIN 3 MONTHS AFTER THE DATE OF THE FIRST PUBLICATION OF THIS NOTICE.

ALL CLAIMS NOT FILED WITHIN THE TIME PERIODS SET FORTH IN FLORIDA STATUTES SECTION 733.702 WILL BE FOREVER BARRED.

The administration of the estate of IRENE FERRETTI, deceased, whose date of death was July 20, 2023, is pending in the Circuit Court for Duval County, Florida, Probate Division, the address of which is 501 W Adams Street, Jacksonville, FL 32202. The names and addresses of the personal representative and the personal representative’s attorney are set forth below.

All creditors of the decedent and other persons having claims or demands against decedent’s estate, on whom a copy of this notice is required to be served, must file their claims with this court ON OR BEFORE THE LATER OF 3 MONTHS AFTER THE TIME OF THE FIRST PUBLICATION OF THIS NOTICE OR 30 DAYS AFTER THE DATE OF SERVICE OF A COPY OF THIS NOTICE ON THEM.

All other creditors of the decedent and other persons having claims or demands against

decedent’s estate must file their claims with this court WITHIN 3 MONTHS AFTER THE DATE OF THE FIRST PUBLICATION OF THIS NOTICE. ALL CLAIMS NOT FILED WITHIN THE TIME PERIODS SET FORTH IN FLORIDA STATUTES SECTION 733.702 WILL BE FOREVER BARRED. NOTWITHSTANDING THE TIME PERIOD SET FORTH ABOVE, ANY CLAIM FILED TWO (2) YEARS OR MORE AFTER THE DECEDENT’S DATE OF DEATH IS BARRED. The date of first publication of this notice is: September 14, 2023. Signed on this 10th day of August, 2023. JAMES R. LALLY, II Personal Representative 119 Florence Avenue Arlington, MA 02476 John M. Severson Attorney for Personal Representative Florida Bar No. 313890 Burns & Severson, PA 400 Columbia Drive, Suite 100 West Palm Beach, FL 33409 Telephone: 561-687-2003

Email: jms@burnsandseverson.com

Secondary Email: charlene@burnsandseverson.com Sep. 14/21 00 (23-06120D)

FIRST INSERTION

IN THE CIRCUIT COURT OF THE FOURTH JUDICIAL CIRCUIT OF FLORIDA IN AND FOR DUVAL COUNTY GENERAL JURISDICTION DIVISION CASE NO. 16-2023-CA-009324 Division: FC-G

By:

Weimer Deputy Clerk of the Court (Court Seal) Tromberg, Morris & Poulin, PLLC 1515 South Federal Highway, Suite 100 Boca Raton, FL 33432 Sep. 14/21 00 (23-06151D)

FIRST INSERTION

NOTICE OF ANNUAL SCHEDULE OF MEETINGS

TISON’S LANDING COMMUNITY DEVELOPMENT DISTRICT

The Board of Supervisors of the Tison’s Landing Community Development District will hold their regularly scheduled public meetings for Fiscal Year 2024 at 6:00 p.m. at the Yellow Bluff Amenity Center, 16529 Tison’s Bluff Road, Jacksonville, Florida 32218 on the second Thursday of each month as follows:

October 12, 2023

December 14, 2023

January 11, 2024

February 8, 2024

March 14, 2024

April 11, 2024

May 9, 2024

June 13, 2024

July 11, 2024

August 8, 2024

September 12, 2024

The meetings are open to the public and will be conducted in accordance with the provision of Florida Law for Community Development Districts. The meetings may be continued to a date, time, and place to be specified on the record at the meeting. Copies of the agendas for these meetings may be obtained from Governmental Management Services, LLC, 475 West Town Place, Suite 114, St. Augustine, Florida 32092, (904) 940-5850, or by visiting the District’s website at www.TisonsLandingCDD.com. There may be occasions when one or more Supervisors or staff will participate by telephone. Pursuant to provisions of the Americans with Disabilities Act, any person requiring special accommodations at this meeting because of a disability or physical impairment should contact the District Office at (904) 940-5850 at least 48 hours prior to the meeting. If you are hearing or speech impaired, please contact the Florida Relay Service by dialing 7-1-1, or 1-800955-8771 (TTY) / 1-800-955-8770 (Voice), for aid in contacting the District Office.

A person who decides to appeal any decision made at the meetings with respect to any matter considered at the meeting is advised that person will need a record of the proceedings and that accordingly, the person may need to ensure that a verbatim record of the proceedings is made, including the testimony and evidence upon which such appeal is to be based.

(23-06155D)

In accordance with the Americans with Disabilities Act of 1990 (ADA), If you are a person with a disability who needs any accommodation in order to participate in this proceeding, you are entitled at no cost to you, to the provision of certain assistance. Please contact the ADA Coordinator at crtintrp@coj.net or (904) 2551695 at least 7 days before your scheduled court appearance, or immediately upon receiving this notification if the time before the scheduled appearance is less than 7 days; if you are hearing or voice impaired, call 711.

Dated: September 7, 2023.

Jody Phillips Clerk of Court

By: Brittany Weimer Deputy Clerk (Court Seal) Sep. 14/21 00 (23-06149D)

NOTWITHSTANDING THE TIME PERIODS SET FORTH ABOVE, ANY CLAIM FILED TWO (2) YEARS OR MORE AFTER THE DECEDENT’S DATE OF DEATH IS BARRED.

TThe date of first publication of this notice is September 14, 2023.

Personal Representative Rhonda Williams

850 Tammy Cove Ln. Jacksonville, Florida 32218

Attorney for Personal Representative

Sarah J. Boyko

Attorney

Florida Bar Number: 1044145

Schnauss Naugle Law, P.L. 810 Margaret Street JACKSONVILLE, FL 32204

Telephone: (904) 366-2703

Fax: (904) 353-9040

E-Mail: sboyko@jaxlawteam.com

Secondary E-Mail: aforquer@jaxlawteam.com

Sep. 14/21 00 (23-06152D)

FIRST INSERTION

NOTICE OF AGENCY ACTION TAKEN BY THE ST. JOHNS RIVER WATER

MANAGEMENT DISTRICT

Notice is given that the following permit was issued on September 7, 2023.

DK Parkway, LLC 3820 Northdale Blvd., Ste 100b, Tampa, FL 33624-1863 and RAMCO TRS LLC 19 West 44th Street, Suite 1002, New York, NY 10036 permit # 118291-16. The project is located in Duval County, Section 19,30, Township 1N, Range 27E. The permit authorizes a minor modification of Permit No. 118291-3 for Parkway Apartments to include the construction and operation of a 11.58-acre project as per plans received by the District on September 6, 2023. The receiving water body is on-site wetlands.

A person whose substantial interests are or may be affected has the right to request an administrative hearing by filing a written petition with the St. Johns River Water Management District (District). Pursuant to Chapter 28-106 and Rule 40C-1.1007, Florida Administrative Code (F.A.C.), the petition must be filed (received) either by delivery at the office of the District Clerk at District Headquarters, P.O. Box 1429, Palatka FL 32178-1429 (4049 Reid St, Palatka, FL 32177) or by e-mail with the District Clerk at Clerk@sjrwmd.com, within twenty-one (21) days of newspaper publication of the notice of District decision (for those persons to whom the District does not mail or email actual notice). A petition must comply with Sections 120.54(5)(b)4. and 120.569(2)(c), Florida Statutes (F.S.), and Chapter 28-106, F.A.C. The District will not accept a petition sent by facsimile (fax). Mediation pursuant to Section 120.573, F.S., may be available and choosing mediation does not affect your right to an administrative hearing.

A petition for an administrative hearing is deemed filed upon receipt of the complete petition by the District Clerk at the District Headquarters in Palatka, Florida during the District’s regular busi-

ness hours. The District’s regular business hours are 8 a.m. – 5 p.m., excluding weekends and District holidays. Petitions received by the District Clerk after the District’s regular business hours shall be deemed filed as of 8 a.m. on the District’s next regular business day. The District’s acceptance of petitions filed by e-mail is subject to certain conditions set forth in the District’s Statement of Agency Organization and Operation (issued pursuant to Rule 28-101.001, Florida Administrative Code), which is available for viewing at floridaswater.com. These conditions include, but are not limited to, the petition being in the form of a PDF or TIFF file and being capable of being stored and printed by the District. Further, pursuant to the District’s Statement of Agency Organization and Operation, attempting to file a petition by facsimile (fax) is prohibited and shall not constitute filing.

The right to an administrative hearing and the relevant procedures to be followed are governed by Chapter 120, Florida Statutes, Chapter 28-106, Florida Administrative Code, and Rule 40C-1.1007, Florida Administrative Code.

Because the administrative hearing process is designed to formulate final agency action, the filing of a petition means the District’s final action may be different from the position taken by it in this notice. Failure to file a petition for an administrative hearing within the requisite time frame shall constitute a waiver of the right to an administrative hearing. (Rule 28-106.111, F.A.C.)

If you wish to do so, please visit http://floridaswater.com/nor_ dec/ to read the complete Notice of Rights to determine any legal rights you may have concerning the District’s decision(s) on the permit application(s) described above. You can also request the Notice of Rights by contacting the Director of Regulatory Support, 4049 Reid St., Palatka, FL 321772529, tele. no. (386)329-4570. Sep. 14 00 (23-06158D)

SPECIALIZED LOAN SERVICING LLC, Plaintiff, vs. MICHELLE A. GRANT, et al., Defendant.

NOTICE OF ACTION

To: ANY AND ALL UNKNOWN PARTIES CLAIMING BY, THROUGH, UNDER, AND AGAINST THE ESTATE OF PAMELA D. CHAPELLE, WHETHER SAID UNKNOWN PARTIES MAY CLAIM AN INTEREST AS SPOUSES, HEIRS, DEVISEES OR OTHER CLAIMANTS ADDRESS: UNKNOWN MICHELLE A. GRANT 23694 78TH AVENUE, PHILADELPHIA, PA 19150 UNKNOWN SPOUSE OF MICHELLE A. GRANT 23694 78TH AVENUE, PHILADELPHIA, PA 19150

LAST KNOWN ADDRESS STATED, CURRENT RESIDENCE UNKNOWN YOU ARE HEREBY NOTIFIED that an action to foreclose Mortgage covering the following real and personal property

FIRST INSERTION IN THE CIRCUIT COURT OF THE FOURTH JUDICIAL CIRCUIT IN AND FOR DUVAL COUNTY, FLORIDA Case No.: 16-2022-CA-005354 Division: CV-H IN RE: FORFEITURE OF: $4,991.00 (Four Thousand, Nine Hundred and Ninety-One Dollars) in U.S. Currency Department of Highway Safety and Motor Vehicles, Plaintiff, vs. Yaniel Gonzalez Guzman, Defendants.

NOTICE OF ACTION

TO: Yaniel Gonzalez Guzman

Last known Address: 903 Duskin Dr. Jacksonville, FL 32216

YOU ARE HEREBY NOTIFIED that a forfeiture action has been filed against the above-described currency by the Department of Highway Safety and Motor Vehicles. You are required to file an answer and any written defenses with the Clerk of the Court and to serve a copy of the answer and defenses on or before the 21st day of October, 2023, on Lindsay Michael, Assistant General Counsel, Department of Highway Safety and Motor Vehicles, 7322 Normandy Boulevard, Jacksonville, Florida 32205. Failure to file your answer and defenses will result in a default being entered against you.

WITNESSED by hand and the Seal of the Court on this 6th day of September, 2023.

JODY PHILLIPS Clerk of Court

By: Amanda Ernst Deputy Clerk (Court Seal) Sep. 14/21/28, Oct. 5 00 (23-06135D)

described as follows, to-wit: L OT 138, COACHMAN LAKES UNIT ONE, ACCORDING TO PLAT THEREOF AS RECORDED IN PLAT BOOK 53, PAGES 51, 51A AND 51B OF THE CURRENT PUBLIC RECORDS OF DUVAL COUNTY, FLORIDA. has been filed against you and you are required to file a copy of your written defenses, if any, to it on Sara Collins, Esq, McCalla Raymer Leibert Pierce, LLC, 225 East Robinson Street, Suite 155, Orlando, FL 32801 and file the original with the Clerk of the above- styled Court on or before 30 days from the first publication, otherwise a Judgment may be entered against you for the relief demanded in the Complaint. WITNESS my hand and seal of said Court on the 7th day of September, 2023.

JODY PHILLIPS AS CLERK OF THE COURT

(Court Seal)

MCCALLA RAYMER LEIBERT PIERCE, LLC 225 E. Robinson St. Suite 155 Orlando, FL 32801 Phone: (407) 674-1850 Fax: (321) 248-0420

Email: AccountsPayable@mccalla.com Sep. 14/21 00 (23-06143D)

FIRST INSERTION IN THE CIRCUIT COURT FOR THE FOURTH JUDICIAL CIRCUIT, IN AND FOR DUVAL COUNTY, FLORIDA Case No.: 16-2021-CA-004268 Division: CV-B Elizabeth D. Benoit, Plaintiff, vs. Kina Robinson, Shantasia Lawrence, and Alexzina Gardner, Defendant.

NOTICE OF ACTION

TO: Shantasia Lawrence and Alexzina Gardner

YOU ARE NOTIFIED that an action to quiet title to the following property in Duval County, Florida: Lot 23, Block 29, Cedar Hills Estates, Unit Six, as recorded in Plat Book 28, Pages 89, 89A, and 89B, Public Records of Duval County, Florida. has been filed against you and you are required to serve a copy of your written defenses, if any, to it on Clifford C. Baker and Jeremiah R. Blocker, the plaintiff’s attorneys, whose address is Douglas Law Firm, 100 Southpark Blvd., Suite 414, Saint Augustine, Florida, 32086, on or before October 21, 2023 and file the original with the clerk of this court either before service on the plaintiff’s attorney or immediately thereafter; otherwise a default will be entered against you for the relief demanded in the complaint or petition.

DATED on September 6th, 2023.

JODY PHILLIPS Clerk of the Court

As Deputy Clerk Sep. 14/21/28, Oct. 5 00 (23-06136D)

4B THURSDAY, SEPTEMBER 14, 2023 JACKSONVILLE DAILY RECORD PUBLIC NOTICES DUVAL
COUNTY
Sep. 14
00
1: Service@markmosslaw.com E-Mail 2: mark@markmosslaw.com Sep. 14/21 00
ESQ. Florida Bar Number: 119573 Law Offices of Mark F. Moss, PLLC 12276 San Jose Blvd., Suite 520 Jacksonville, FL 32223 Telephone: (904) 329-7242 E-Mail
(23-06154D)

PUBLIC NOTICES

FIRST INSERTION

PUBLIC NOTICE

The Department of Public Works/Engineering & Construction Management Division of the City of Jacksonville, Florida, will require the services of a company/firm to provide Professional Design Services for Blue Cypress Park (P-34-23). All interested persons can download the RFP @ https://rfp.coj.net/ rfp/solicitation/SolicitationDefault.asp The City of Jacksonville is an Equal Opportunity Employer and encourage expressions of interest for the described services from Jacksonville Small Emerging Businesses (JSEB). Replies must be delivered to the City of Jacksonville, Procurement Division, Attn: Professional Services Specialist, 214 N. Hogan Street, Suite 105, Jacksonville, FL, 32202. Proposals must be received no later than 2:00 p.m., Wednesday, October 18, 2023. Sep. 14 00 (23-06160D)

FIRST INSERTION

NOTICE

Notice is hereby given that on September 25, 2023. Storagetreasures.com Executive administrator for U-Haul company of Northern Florida, will be offering for sale under the judicial lien process; by public auction; the following storage units. Household goods are stored at the U-Haul center located at 9411 Atlantic Blvs. Jacksonville Fl 32225 Duval

KENNETH MITCHELL

B024 $2,647.50

Chevey Slack

B732 $1,149.45

Ulysses Cromity

B762 $491.40 Leslie Salazar

B449 $1,093.35

ian davila

B502 $1,387.60

jose nevarez

B061 $1,132.7

U-Haul company does reserve the right to refuse bids. The sale will begin Monday 09/25/23 @ 9:00 am and continue until Monday 10/02/23 @ 9am. Sep. 14/21 00 (23-06163D)

FIRST INSERTION

NOTICE OF MEETINGS

WYNNFIELD LAKES COMMUNITY

DEVELOPMENT DISTRICT

The Board of Supervisors of the Wynnfield Lakes Community Development District will hold their regularly scheduled public meetings for Fiscal Year 20232024 at 6:00 PM at the University of North Florida, University Center, 12000 Alumni Drive, Room 1090, Jacksonville, Florida on the third Wednesday of the following months as follows (*exceptions noted):

November 15, 2023

January 17, 2024

March 20, 2024

May 15, 2024

(FY25 Budget Approval Meeting)

July 17, 2024

(FY25 Budget Adoption Meeting)

September 18, 2024

The meetings are open to the public and will be conducted in accordance with the provision of Florida Law for Community Development Districts. The meetings may be continued to a date, time, and place to be specified on the record at the meeting. A copy of the agenda for these meetings may be obtained from Governmental Management Services, LLC, 475 West Town Place, Suite 114, St. Augustine, Florida 32092, (904) 940-5850, or by visiting the District’s website at www.WynnfieldLakesCDD.com.

There may be occasions when one or more Supervisors or staff will participate by telephone. Pursuant to provisions of the Americans with Disabilities Act, any person requiring special accommodations at this meeting because of a disability or physical impairment should contact the District Office at (904) 940-5850 at least 48 hours prior to the meeting. If you are hearing or speech impaired, please contact the Florida Relay Service by dialing 7-1-1, or 1-800955-8771 (TTY) / 1-800-955-8770

(Voice), for aid in contacting the District Office.

A person who decides to appeal any decision made at the meeting with respect to any matter considered at the meeting is advised that person will need a record of the proceedings and that accordingly, the person may need to ensure that a verbatim record of the proceedings is made, including the testimony and evidence upon which such appeal is to be based.

FIRST INSERTION

PUBLIC NOTICE

The Office of General Counsel of the City of Jacksonville, Florida, will require the services of a consultant/firm as a Compensation Review/Analysis Consultant (P-36-23). All interested persons can download the RFP @ https://rfp.coj.net/rfp/ solicitation/SolicitationDefault.

asp The City of Jacksonville is an Equal Opportunity Employer and encourage expressions of interest for the described services from Jacksonville Small Emerging Businesses (JSEB). Replies must be delivered to the City of Jacksonville, Procurement Division, Attn: Professional Services Specialist, 214 N. Hogan Street, Suite 105, Jacksonville, FL, 32202. Proposals must be received no later than 2:00 p.m., Wednesday, October 4, 2023. Sep. 14 00 (23-06162D)

FIRST INSERTION

The Jacksonville Transportation Authority will require a supplier to provide services for ITB No. 23-011 Park-N-Ride Parking Lot Repairs, Sealcoat & Striping. All interested may contact the Jacksonville Transportation Authority, Procurement Department, 100 LaVilla Center Drive, Jacksonville, Florida 32204 or email procurement@jtafla.com. To obtain a copy of the Solicitation visit https://jtafla.bonfirehub.com/ portal/?tab=openOpportunities

Deadline for questions regarding the plans and/or specifications is 12:00 P.M., September 21, 2023. Questions must be submitted in writing on the JTA Bonfire Procurement Portal.

The Jacksonville Transportation Authority is an Equal Opportunity Employer and encourages expressions of interest for the described services from Disadvantaged Business Enterprises. Bids must be uploaded to the JTA Bonfire Procurement Portal no later than 2:00 p.m., October 13, 2023. Sep. 14 00 (23-06184D)

IN

FIRST

NOTICE TO CREDITORS

The administration of the estate of Robert Alexander Smithdeal, deceased, whose date of death was July 2, 2023, is pending in the Circuit Court for Duval County, Florida, Probate Division, the address of which is 501 W. Adams Street, Jacksonville, Florida 32202. The names and addresses of the personal representative and the personal representative’s attorney are set forth below.

All creditors of the decedent and other persons having claims or demands against decedent’s estate on whom a copy of this notice is required to be served must file their claims with this court WITHIN THE LATER OF 3 MONTHS AFTER THE TIME OF THE FIRST PUBLICATION OF THIS NOTICE OR 30 DAYS AFTER THE DATE OF SERVICE OF A COPY OF THIS NOTICE ON THEM.

All other creditors of the decedent and other persons having claims or demands against decedent’s estate must file their claims with this court WITHIN

3 MONTHS AFTER THE DATE OF THE FIRST PUBLICATION OF THIS NOTICE. ALL CLAIMS NOT FILED WITHIN THE TIME PERIODS SET FORTH IN SECTION 733.702 OF THE FLORIDA PROBATE CODE WILL BE FOREVER BARRED. NOTWITHSTANDING THE TIME PERIODS SET FORTH ABOVE, ANY CLAIM FILED TWO (2) YEARS OR MORE AFTER THE DECEDENT’S DATE OF DEATH IS BARRED. The date of first publication of this notice is September 14, 2023.

FIRST INSERTION

NOTICE UNDER FICTITIOUS NAME LAW

According to Florida Statute Number 865.09

NOTICE IS HEREBY GIVEN that the undersigned, desiring to engage in business under the Fictitious Name of Studio142 located at 9147 Runnymeade Rd., in the City of Jacksonville, Duval County, Florida 32257 intends to register the said name with the Division of Corporations of the Department of State, Tallahassee, Florida.

Dated at Jacksonville, Florida, this 9th day of September, 2023. Hannah Conrad Sep. 14 00 (23-06176D)

FIRST INSERTION

NOTICE UNDER FICTITIOUS NAME LAW

According to Florida Statute Number 865.09 NOTICE IS HEREBY GIVEN that the undersigned, desiring to engage in business under the Fictitious Name of The Southern Leaf Lifestyle located at 9951 Atlantic Boulevard Suite 322, in the City of Jacksonville, Duval County, Florida 32225 intends to register the said name with the Division of Corporations of the Department of State, Tallahassee, Florida. Dated at Jacksonville, Florida, this 13th day of September, 2023. Bellissia Bentley Sep. 14 00 (23-06246D)

FIRST INSERTION

IN THE CIRCUIT COURT OF THE FOURTH JUDICIAL CIRCUIT, IN AND FOR DUVAL COUNTY, FLORIDA PROBATE DIVISION File No.: 16-2023-CP-002218 Division: PR-A IN RE: THE ESTATE OF CHARLES E. CORBIN, II A/K/A CHARLES CORBIN, Deceased.

NOTICE TO CREDITORS

The administration of the estate of Charles E. Corbin, II a/k/a Charles Corbin deceased, whose date of death was June 21, 2022, is pending in the Circuit Court for Duval County, Florida, Probate Division, the address of which is 501 W. Adams Street, Jacksonville, 32202. The names and addresses of the Personal Representative and the Personal Representative’s attorney are set forth below.

All creditors of the decedent and other persons having claims or demands against decedent’s estate on whom a copy of this notice is required to be served must file their claims with this court ON OR BEFORE THE LATER OF 3 MONTHS AFTER THE TIME OF THE FIRST PUBLICATION OF THIS NOTICE OR 30 DAYS AFTER THE DATE OF SERVICE OF A COPY OF THIS NOTICE ON THEM.

All other creditors of the decedent and other persons hav-

FIRST INSERTION

IN THE CIRCUIT COURT FOR DUVAL COUNTY, FLORIDA File No. 16-2023-CP-002240

PROBATE DIVISION

SECTION: PR-B IN RE: ESTATE OF TOMMIE TEAGUES Deceased.

NOTICE TO CREDITORS

The administration of the estate of Tommie Teagues, deceased, whose date of death was March 8, 2022, is pending in the Circuit Court for Duval County, Florida, Probate Division, the address of which is 501 West Adams Street, Jacksonville, Florida 32202. The names and addresses of the personal representative and the personal representative’s attorney are set forth below.

All creditors of the decedent and other persons having claims or demands against decedent’s estate on whom a copy of this notice is required to be served must file their claims with this court ON OR BEFORE THE LATER OF 3 MONTHS AFTER THE TIME OF THE FIRST PUBLICATION OF THIS NOTICE OR 30 DAYS AFTER THE DATE OF SERVICE OF A COPY OF THIS NOTICE ON THEM.

All other creditors of the decedent and other persons having claims or demands against decedent’s estate must file their claims with this court WITHIN 3 MONTHS AFTER THE DATE OF THE FIRST PUBLICATION OF THIS NOTICE. ALL CLAIMS NOT FILED WITHIN THE TIME PERIODS SET FORTH IN FLORIDA STATUTES SECTION 733.702 WILL BE FOREVER BARRED.

NOTWITHSTANDING THE TIME PERIODS SET FORTH ABOVE, ANY CLAIM FILED TWO (2) YEARS OR MORE AFTER THE DECEDENT’S DATE OF DEATH IS BARRED.

The date of first publication of this notice is September 14, 2023.

ing claims or demands against decedent’s estate must file their claims with this court WITHIN 3 MONTHS AFTER THE DATE OF THE FIRST PUBLICATION OF THIS NOTICE.

ALL CLAIMS NOT FILED WITHIN THE TIME PERIODS SET FORTH IN FLORIDA STATUTES SECTION 733.702 WILL BE FOREVER BARRED. NOTWITHSTANDING THE TIME PERIODS SET FORTH ABOVE, ANY CLAIM FILED TWO (2) YEARS OR MORE AFTER THE DECEDENT’S DATE OF DEATH IS BARRED. The date of first publication of this notice is September 14, 2023.

Personal Representative: Nancy Corbin 8608 Andaloma Street Jacksonville, FL 32211

Attorney for Personal Representative

Hollyn J. Foster, Esq. Florida Bar Number: 0020883 Bowers and Associates, P. A. 6789 Southpoint Parkway, Suite 300 Jacksonville, FL 32216

Telephone: (904) 998-0724

Fax: (904) 998-0732

E-Mail: hfoster@bowerselderlaw.com Secondary E-Mail: mford@bowerselderlaw.com Sep. 14/21 00 (23-06153D)

FIRST INSERTION IN THE CIRCUIT COURT, FOURTH JUDICIAL CIRCUIT, IN AND FOR DUVAL COUNTY, FLORIDA, PROBATE DIVISION FILE NO.: 16-2023-CP-002026 DIVISION: PR-A IN RE: ESTATE OF JOEL A. DAVID, a/k/a JOEL ALLEN DAVID, Deceased.

NOTICE TO CREDITORS

The administration of the estate of JOEL A. DAVID, deceased, whose date of death was June 24, 2023, is pending in the Circuit Court for Duval County, Florida, Probate Division, the address of which is Duval County Courthouse, 501 West Adams Street, Jacksonville, Florida 32202. The names and addresses of the personal representative and the personal representative’s attorney are set forth below.

All creditors of the decedent and other persons having claims or demands against decedent’s estate on whom a copy of this notice is required to be served must file their claims with this Court ON OR BEFORE THE LATER OF 3 MONTHS AFTER THE TIME OF THE FIRST PUBLICATION OF THIS NOTICE OR 30 DAYS AFTER THE DATE OF SERVICE OF A COPY OF THIS NOTICE ON THEM.

All other creditors of the decedent and other persons having claims or demands against decedent’s estate must file their claims with this Court WITHIN 3 MONTHS AFTER THE DATE OF THE FIRST PUBLICATION OF THIS NOTICE.

ALL CLAIMS NOT FILED WITHIN THE TIME PERIODS SET FORTH IN FLORIDA STATUTES SECTION 733.702 WILL BE FOREVER BARRED. NOTWITHSTANDING THE TIME PERIODS SET FORTH ABOVE, ANY CLAIM FILED TWO (2) YEARS OR MORE AFTER THE DECEDENT’S DATE OF DEATH IS BARRED.

The date of first publication of this notice is: September 14, 2023.

DUVAL COUNTY

FIRST INSERTION

PUBLIC NOTICE OF INTENT TO ISSUE AIR PERMIT Florida Department of Environmental Protection Northeast District Office Draft Air Permit No. 0310097-017-AC

Metal Container Corporation, MCC Jacksonville Can Plant Duval County, Florida

Applicant: The applicant for this project is Metal Container

Corporation. The applicant’s authorized representative and mailing address is: Joe Beringer, Plant Manager, Metal Container Corporation, MCC Jacksonville Can Plant, 1100 Ellis Road North, Jacksonville, Florida 3225422252.

Facility Location: Metal Container Corporation operates the existing MCC Jacksonville Can Plant, which is located in Duval County at 1100 Ellis Road North in Jacksonville, Florida.

Project: This air construction permit project is to reduce the destruction efficiency testing for the regenerative thermal oxidizer for the can coating lines and the bottle coating line from an annual requirement to once every five years. This project will not result in an increase in any emissions.

Permitting Authority: Applications for air construction permits are subject to review in accordance with the provisions of Chapter 403, Florida Statutes (F.S.) and Chapters 62-4, 62-210 and 62-212 of the Florida Administrative Code (F.A.C.). The proposed project is not exempt from air permitting requirements and an air permit is required to perform the proposed work. The Northeast District Office is the Permitting Authority responsible for making a permit determination for this project. The Permitting Authority’s physical address is: 8800 Baymeadows West Way, Suite 100, Jacksonville, Florida 32256. The Permitting Authority’s mailing address is: 8800 Baymeadows West Way, Suite 100, Jacksonville, Florida 32256. The Permitting Authority’s telephone number is (904) 256-1700.

Project File: A complete project file is available for public inspection during the normal business hours of 8:00 a.m. to 5:00 p.m., Monday through Friday (except legal holidays), at address indicated above for the Permitting Authority. The complete project file includes the Draft Permit, the Technical Evaluation and Preliminary Determination, the application, and the information submitted by the applicant, exclusive of confidential records under Section 403.111, F.S. Interested persons may contact the Permitting Authority’s project review engineer for additional information at the address or phone number listed above. In addition, electronic copies of these documents are available on the following web site: https://fldep.dep.state.fl.us/ air/emission/apds/default.asp.

Notice of Intent to Issue Permit: The Permitting Authority gives notice of its intent to issue an air construction permit to the applicant for the project described above. The applicant has provided reasonable assurance that operation of can and bottle coating lines will not adversely impact air quality and that the project will comply with all appropriate provisions of Chapters 62-4, 62-204, 62-210, 62-212, 62-296 and 62-297, F.A.C. The Permitting Authority will issue a Final Permit in accordance with the conditions of the proposed Draft Permit unless a timely petition for an administrative hearing is filed under Sections 120.569 and 120.57, F.S. or unless public comment received in accordance with this notice results in a different decision or a significant change of terms or conditions.

to written notice under Section 120.60(3), F.S., must be filed within 14 days of publication of the Public Notice or receipt of a written notice, whichever occurs first. Under Section 120.60(3), F.S., however, any person who asked the Permitting Authority for notice of agency action may file a petition within 14 days of receipt of that notice, regardless of the date of publication. A petitioner shall mail a copy of the petition to the applicant at the address indicated above, at the time of filing. A petition for administrative hearing must contain the information set forth below and must be filed (received) with the Agency Clerk in the Office of General Counsel, 3900 Commonwealth Boulevard, MS 35, Tallahassee, Florida 32399-3000, Agency_Clerk@ dep.state.fl.us, before the deadline. The failure of any person to file a petition within the appropriate time period shall constitute a waiver of that person’s right to request an administrative determination (hearing) under Sections 120.569 and 120.57, F.S., or to intervene in this proceeding and participate as a party to it. Any subsequent intervention (in a proceeding initiated by another party) will be only at the approval of the presiding officer upon the filing of a motion in compliance with Rule 28-106.205, F.A.C. A petition that disputes the material facts on which the Permitting Authority’s action is based must contain the following information: (a) The name and address of each agency affected and each agency’s file or identification number, if known; (b) The name, address, any email address, telephone number and any facsimile number of the petitioner; the name, address any email address, telephone number, and any facsimile number of the petitioner’s representative, if any, which shall be the address for service purposes during the course of the proceeding; and an explanation of how the petitioner’s substantial interests will be affected by the agency determination; (c) A statement of when and how each petitioner received notice of the agency action or proposed decision; (d)

A statement of all disputed issues of material fact. If there are none, the petition must so state; (e) A concise statement of the ultimate facts alleged, including the specific facts the petitioner contends warrant reversal or modification of the agency’s proposed action; (f) A statement of the specific rules or statutes the petitioner contends require reversal or modification of the agency’s proposed action including an explanation of how the alleged facts relate to the specific rules or statutes; and, (g) A statement of the relief sought by the petitioner, stating precisely the action the petitioner wishes the agency to take with respect to the agency’s proposed action. A petition that does not dispute the material facts upon which the Permitting Authority’s action is based shall state that no such facts are in dispute and otherwise shall contain the same information as set forth above, as required by Rule 28-106.301, F.A.C. Because the administrative hearing process is designed to formulate final agency action, the filing of a petition means that the Permitting Authority’s final action may be different from the position taken by it in this Public Notice of Intent to Issue Air Permit. Persons whose substantial interests will be affected by any such final decision of the Permitting Authority on the application have the right to petition to become a party to the proceeding, in accordance with the requirements set forth above.

Senior Counsel Attorneys at Law, PA 2318 Park Street Jacksonville, FL 32204

Telephone: (904) 619

2nd E-Mail:

Probate@TherrelBaisden.com

LBermudez@TherrelBaisden.com Sep. 14/21 00 (23-06159D)

Personal Representative: BRIAN LEE WARE 1887 San Marco Boulevard Jacksonville, FL 32207 Attorney for Personal Representative: JOSEPH CLAY MEUX, JR., ESQUIRE cmeux@rtlaw.com Florida Bar No.: 041114 ROGERS TOWERS, P.A. 1301 Riverplace Boulevard, Suite 1500 Jacksonville, FL 32207 (904) 398-3911 Sep. 14/21 00 (23-06174D)

Comments: The Permitting Authority will accept written comments concerning the proposed Draft Permit for a period of 14 days from the date of publication of the Public Notice. Written comments must be received by the Permitting Authority by close of business (5:00 p.m.) on or before the end of this 14-day period. If written comments received result in a significant change to the Draft Permit, the Permitting Authority shall revise the Draft Permit and require, if applicable, another Public Notice. All comments filed will be made available for public inspection.

Petitions: A person whose substantial interests are affected by the proposed permitting decision may petition for an administrative hearing in accordance with Sections 120.569 and 120.57, F.S. Petitions filed by any persons other than those entitled

Extension of Time: Under Rule 62-110.106(4), F.A.C., a person whose substantial interests are affected by the Department’s action may also request an extension of time to file a petition for an administrative hearing. The Department may, for good cause shown, grant the request for an extension of time. Requests for extension of time must be filed with the Office of General Counsel of the Department at 3900 Commonwealth Boulevard, Mail Station 35, Tallahassee, Florida 32399-3000, or via electronic correspondence at Agency_Clerk@ dep.state.fl.us, before the deadline for filing a petition for an administrative hearing. A timely request for extension of time shall toll the running of the time period for filing a petition until the request is acted upon.

Mediation: Mediation is not available in this proceeding.

THURSDAY, SEPTEMBER 14, 2023 5B JACKSONVILLE DAILY RECORD
1940 E. Venango
Philadelphia,
19134
Andrew P. Cummings Andrew P. Cummings, Esq.
for Personal Representative Florida Bar Number: 98355 THERREL BAISDEN, LLP One SE 3rd Avenue, Suite 2950 Miami, FL 33131 Telephone: (305) 371-5758 Fax: (305) 371-3178 E-Mail: ACummings@ TherrelBaisden.com
Tia Michelle Cooper, Personal Representative
Street
PA
/s/
Attorney
INSERTION
THE CIRCUIT COURT
DUVAL COUNTY, FLORIDA File
Sep. 14 00 (23-06179D) Division PR-B IN RE: ESTATE OF ROBERT
FOR
No. 16-2023-CP-002417
ALEXANDER SMITHDEAL Deceased.
Fax: (904) 683 8250 Sep. 14/21
Personal Representative: Melissa Smithdeal 1543 Marble Lake Drive Jacksonville, Florida 32221 Attorney for Personal Representative: James Adam Owens Attorney for Personal Representative Florida Bar Number: 70199
8890
00 (23-06185D)
PUBLIC NOTICE

PUBLIC NOTICES

FIRST INSERTION

NOTICE UNDER FICTITIOUS NAME LAW

According to Florida Statute Number 865.09

NOTICE IS HEREBY GIVEN that the undersigned, desiring to engage in business under the Fictitious Name of Brown Enterprises located at 8841 Corporate Square Court, in the City of Jacksonville, Duval County, Florida 32216 intends to register the said name with the Division of Corporations of the Department of State, Tallahassee, Florida.

Dated at Jacksonville, Florida, this 8th day of September, 2023.

Solar Enterprises, Inc.

By: Gordon E. Brown Sep. 14 00 (23-06170D)

FIRST INSERTION NOTICE UNDER FICTITIOUS NAME LAW

According to Florida Statute Number 865.09

NOTICE IS HEREBY GIVEN that the undersigned, desiring to engage in business under the Fictitious Name of Ready To Strike located at 5310 Lenox Ave Ste 22, in the City of Jacksonville, Duval County, FL 32205 intends to register the said name with the Division of Corporations of the Department of State, Tallahassee, Florida. Dated at Jacksonville, Florida, this Jacksonville day of September, 2023.

Tubman Freedom Fighters By: Rosemary McCoy Sep. 14 00 (23-06180D)

FIRST INSERTION

IN THE CIRCUIT COURT FOR DUVAL COUNTY, FLORIDA PROBATE DIVISION FILE NO.: 16-2023-CP-002466 DIVISION: PR-A IN RE: ESTATE OF WERNER GEORGE ERNST, JR.

Deceased.

NOTICE TO CREDITORS

The Administration of the estate of Werner George Ernst, Jr. deceased, whose date of death was April 10, 2022, is pending in the Circuit Court of Duval County, Florida, Probate Division, the address of which is Duval County Courthouse, 501 W. Adams Street, Jacksonville, Florida 32202. The names and addresses of the personal representative and the personal representative’s attorney are set forth below.

All creditors of the decedent and other persons having claims or demands against decedent’s estate on whom a copy of this notice is required to be served must file their claims with this court WITHIN THE LATER OF 3 MONTHS AFTER THE T IME OF THE FIRST PUBLICATION OF THIS NOTICE OR 30 DAYS AFTER THE DATE OF SERVICE OF A COPY OF THIS NOTICE ON THEM. All other creditors of the dece-

FIRST INSERTION IN THE FOURTH JUDICIAL CIRCUIT COURT, IN AND FOR DUVAL COUNTY, FLORIDA CASE NO.: 16-2023-DP-052-A DIVISION: JV-D IN THE INTEREST OF:

K. S. DOB: 10/01/2020

MINOR CHILD SUMMONS AND NOTICE OF ACTION (BY PUBLICATION)

THE STATE OF FLORIDA

TO: Amy Swords, Mother

Address Unknown YOU ARE HEREBY NOTIFIED that a Petition has been filed by the State of Florida, Department of Children and Families to terminate your parental rights and permanently commit the following children for adoption: K. S. born October 1, 2020. You are hereby commanded to appear on OCTOBER 16, 2023 AT 1:00 P.M., before the Honorable Judge W. Collins Cooper, Juvenile Division, Courtroom 202, Duval County Courthouse, 501 W Adams Street, Jacksonville, FL 32202. You MUST appear at this hearing.

FAILURE TO PERSONAL-

LY APPEAR AT THE ADVISORY HEARING CONSTITUTES

CONSENT TO THE TERMINATION OF YOUR PARENTAL RIGHTS TO K.S., AND YOU MAY LOSE ALL LEGAL RIGHTS

AS A PARENT TO THIS CHILD.

Pursuant to Sections 39.804(4) (d) and 63.082(6)(g), Florida Statutes, you are hereby informed of the availability of private placement with an adoption entity, as defined in Section 63.032(3), Florida Statutes.

Individuals with disabilities needing a reasonable accommodation to participate in this proceeding should contact the Clerk of the Court, as soon as possible, telephone (904) 255-2000 or if hearing impaired, 1-800-9558771-(TDD); or 1800-955-8770

(V) Florida Relay Service.

WITNESS my hand as clerk of said Court and the Seal thereof, this 8th day of September, 2023.

JODY PHILLIPS, as Clerk of Court

Morgan R. Lauten, Esquire, Children’s Legal Services Florida Bar Number: 1018118

1845 Town Center Blvd., Suite 240 Fleming Island, FL 32003 Phone: (904) 571-2858

Morgan.Lauten@myflfamilies. com

Wendy.Cusick@myflfamilies.com

00 (23-06171D)

FIRST INSERTION IN THE FOURTH JUDICIAL CIRCUIT COURT, IN AND FOR DUVAL COUNTY, FLORIDA CASE NO. 16-2022-DP-386-A DIVISION: JV-D IN THE INTEREST OF:

J. G. DOB: 07/07/2021 MINOR CHILD SUMMONS AND NOTICE OF ACTION (BY PUBLICATION)

THE STATE OF FLORIDA

TO: Joseph Goins, Father Address Unknown

YOU ARE HEREBY NOTIFIED

FIRST INSERTION

FIRST INSERTION

IN THE FOURTH JUDICIAL CIRCUIT COURT, IN AND FOR DUVAL COUNTY, FLORIDA CASE NO. 16-2022-DP-386-A

DIVISION: JV-D IN THE INTEREST OF:

J. G. DOB: 07/07/2021 MINOR CHILD SUMMONS AND NOTICE OF ACTION

(BY PUBLICATION)

THE STATE OF FLORIDA

TO: Kimberly Wright, Mother Address Unknown

DUVAL COUNTY

FIRST INSERTION

NOTICE

NOTICE

dent and other persons having claims or demands against decedent’s estate must file their claims with this court WITHIN 3 MONTHS AFTER THE DATE OF THE FIRST PUBLICATION OF THIS NOTICE.

ALL CLAIMS NOT FILED WITHIN THE TIME PERI-

ODS SET FORTH IN SECTION 733.702 OF THE FLORIDA PROBATE CODE WILL BE FOREVER BARRED. NOTWITHSTANDING THE TIME PERIODS SET FORTH

ABOVE, ANY CLAIM FILED

TWO (2) YEARS OR MORE AFTER THE DECEDENT’S

DATE OF DEATH IS BARRED.

The date of first publication of this notice is September 14, 2023.

Personal Representative Darin Ernst

Attorney for Personal Representative

Douglas J. Milne Florida Bar No. 112324 Milne and Buckingham, P.L. 1912 Hamilton Street, #203 Jacksonville, FL 32210

Telephone: 904-387-5400

Facsimile: 904-384-8215

Attorney for Personal Representative Sep. 14/21 00 (23-06178D)

FIRST INSERTION IN THE CIRCUIT COURT OF THE FOURTH JUDICIAL CIRCUIT, IN AND FOR DUVAL COUNTY, FLORIDA. CASE No. 16-2023-CA-008594

DIVISION: FC-C

GATEWAY MORTGAGE, A DIVISION OF GATEWAY FIRST BANK, PLAINTIFF, VS. JULIE MARTIN, ET AL. DEFENDANT(S).

NOTICE OF FORECLOSURE SALE

NOTICE IS HEREBY GIVEN pursuant to the Final Judgment of Foreclosure dated September 6, 2023, in the above action, I will sell to the highest bidder for cash Duval County, Florida, on November 7, 2023, at 11:00 AM, at: www.duval.realforeclose.com for the following described property: LOT 25, BLOCK 18, CEDAR HILLS UNIT 2, ACCORDING TO THE MAP OR PLAT THEREOF, AS RECORDED IN PLAT BOOK 25, PAGE(S) 32, OF THE PUBLIC RECORDS OF DUVAL COUNTY, FLORIDA.

Any person claiming an interest in the surplus from the sale, if any, other than the property owner as of the date of the lis pendens_ must file a claim before the clerk reports the surplus as unclaimed. The Court, in its discretion, may enlarge the time of the sale. Notice of the changed time of sale shall be published as provided herein.

Americans With Disabilities Act (ADA) Notice

In accordance with the Americans with Disabilities Act of 1990 (ADA), If you are a person with a disability who needs any accommodation in order to participate in this proceeding, you are entitled at no cost to you, to the provision of certain assistance.

Please contact the ADA Coordinator at crtintrp@coj.net or (904) 2551695 at least 7 days before your scheduled court appearance, or immediately upon receiving this notification if the time before the scheduled appearance is less than 7 days; if you are hearing or voice impaired, call 711.

Date: September 7, 2023

JODY PHILLIPS Clerk of the Circuit Court

By:

Deputy Clerk of the Court (Court Seal) Tromberg, Morris & Poulin, PLLC 1515 South Federal Highway, Suite 100 Boca Raton, FL 33432 Sep. 14/21 00 (23-06150D)

that a Petition has been filed by the State of Florida, Department of Children and Families to terminate your parental rights and permanently commit the following children for adoption: J. G. born July 7, 2021. You are hereby commanded to appear on OCTOBER 16, 2023 at 1:00 P.M., before the Honorable Judge W. Collins Cooper, Juvenile Division, Courtroom 202, Duval County Courthouse, 501 W Adams Street, Jacksonville, FL 32202. You MUST appear at this hearing.

FAILURE TO PERSONAL-

LY APPEAR AT THE ADVISORY HEARING CONSTITUTES CONSENT TO THE TERMINATION OF YOUR PARENTAL RIGHTS TO J. G., AND YOU MAY LOSE ALL LEGAL RIGHTS AS A PARENT TO THIS CHILD.

Pursuant to Sections 39.804(4) (d) and 63.082(6)(g), Florida Statutes, you are hereby informed of the availability of private placement with an adoption entity, as defined in Section 63.032(3), Florida Statutes.

Individuals with disabilities needing a reasonable accommodation to participate in this proceeding should contact the Clerk of the Court, as soon as possible, telephone (904) 255-2000 or if hearing impaired, 1-800-9558771-(TDD); or 1800-955-8770

(V) Florida Relay Service.

WITNESS my hand as clerk of said Court and the Seal thereof, this 8th day of September, 2023.

JODY PHILLIPS, as Clerk of Court

By: Le My Le As Deputy Clerk

(Court Seal)

Morgan R. Lauten, Esquire, Children’s Legal Services Florida Bar Number: 1018118

1845 Town Center Blvd., Suite 240 Fleming Island, FL 32003 Phone: (904) 571-2858

Morgan.Lauten@ myflfamilies.com

Wendy.Cusick@myflfamilies.com

Sep. 14/21/28

Oct. 5 00 (23-06173D)

YOU ARE HEREBY NOTIFIED that a Petition has been filed by the State of Florida, Department of Children and Families to terminate your parental rights and permanently commit the following children for adoption: J. G. born July 7, 2021. You are hereby commanded to appear on OCTOBER 16, 2023 at 1:00 P.M., before the Honorable Judge W. Collins Cooper, Juvenile Division, Courtroom 202, Duval County Courthouse, 501 W Adams Street, Jacksonville, FL 32202. You MUST appear at this hearing.

FAILURE TO PERSONALLY APPEAR AT THE ADVISORY HEARING CONSTITUTES CONSENT TO THE TERMINATION OF YOUR PARENTAL RIGHTS TO J. G., AND YOU MAY LOSE ALL LEGAL RIGHTS AS A PARENT TO THIS CHILD. Pursuant to Sections 39.804(4) (d) and 63.082(6)(g), Florida Statutes, you are hereby informed of the availability of private placement with an adoption entity, as defined in Section 63.032(3), Florida Statutes.

Individuals with disabilities needing a reasonable accommodation to participate in this proceeding should contact the Clerk of the Court, as soon as possible, telephone (904) 255-2000 or if hearing impaired, 1-800-9558771-(TDD); or 1800-955-8770 (V) Florida Relay Service.

WITNESS my hand as clerk of said Court and the Seal thereof, this 8th day of September, 2023.

JODY PHILLIPS, as Clerk of Court

By: Le My Le As Deputy Clerk (Court Seal) Morgan R. Lauten, Esquire, Children’s Legal Services Florida Bar Number: 1018118 1845 Town Center Blvd., Suite 240 Fleming Island, FL 32003 Phone: (904) 571-2858

Morgan.Lauten@ myflfamilies.com

Wendy.Cusick@myflfamilies.com

Sep. 14/21/28 Oct. 5 00 (23-06172D)

FIRST INSERTION

IN THE CIRCUIT COURT OF THE FOURTH JUDICIAL CIRCUIT IN AND FOR DUVAL COUNTY, FLORIDA CIVIL DIVISION

Case#: 16-2019-CA-002644

DIVISION: FC-G US Bank Trust National Association, Not In Its Individual Capacity But Solely As Owner Trustee For VRMTG Asset Trust Plaintiff, -vs.Unknown Heirs, Devisees, Grantees, Assignees, Creditors, Lienors, and Trustees of Helen Deloris Wright a/k/a Helen Fowler Wright a/k/a Helen Fowler, Deceased, and All Other Persons Claiming by and Through, Under, Against The Named Defendant (s); Gentry Wright Roberts a/k/a Gentry Wright a/k/a Gentry Burns; Mario Devon Wright; Unknown Spouse of Gentry Wright Roberts a/k/a Gentry Wright a/k/a Gentry Bums; Unknown Spouse of Mario Devon Wright; Clerk of Circuit Court of Duval County, Florida; City of Jacksonville Defendant(s).

NOTICE OF SALE

NOTICE IS HEREBY GIVEN pursuant to order rescheduling foreclosure sale or Final Judgment, entered in Civil Case No. 16-2019-CA-002644 of the Circuit Court of the 4th Judicial Circuit in and for Duval County, Florida, wherein US Bank Trust National Association, Not In Its Individual Capacity But Solely As Owner Trustee For VRMTG Asset Trust, Plaintiff and Unknown Heirs, Devisees, Grantees, Assignees, Creditors, Lienors, and Trustees of Helen Deloris Wright a/k/a Helen Fowler Wright a/k/a Helen Fowler, Deceased, and All Other Persons Claiming by and Through, Under, Against The Named Defendant (s) are defendant(s), I, Clerk of Court, Jody Phillips, will sell to the highest and best bidder for cash AT

12th,

Notice is hereby given that on September 25, 2023. Storagetreasures.com Executive administrator for U-Haul company of Northern Florida, will be offering for sale under the judicial lien process; by public auction; the following storage units. Household goods are stored at the U-Haul center located 11490 San Jose Blvd. Jacksonville Fl 32223 Duval Shaelyn Simmons 2039 $1,162.25 Emma Casanova 1114 $1,123.40 dustin mcswain 3065 $2,010.10 Anaiya Ellis 1057 $1,229.00 Daron Mann 2002 $1,282.50 Franklin Rice 2023 $1,754.10

U-Haul company does reserve the right to refuse bids. The sale will begin Monday 09/25/23 @ 9:00 am and continue until Monday 10/02/23 @ 9am. Sep. 14/21 00 (23-06167D)

Notice is hereby given that on September 25, 2023. Storagetreasures.com Executive administrator for U-Haul company of Northern Florida, will be offering for sale under the judicial lien process; by public auction; the following storage units. Household goods are stored at the U-Haul center located at 3435 Phillips Hwy. Jacksonville Fl 32207 Duval Franklin Barahona C494 $1,656.75 JAMES SPEAR D110 $1,263.94 MECHELLE SUAREZ B212 $5,396.85 Flora Monts A022 $1,857.50 MONEAK KING D208 $3,422.50 Justo Castillo D317$640.00

U-Haul company does reserve the right to refuse bids. The sale will begin Monday 09/25/23 @ 9:00 am and continue until Monday 10/02/23 @ 9am. Sep. 14/21 00 (23-06165D)

FIRST INSERTION

IN THE CIRCUIT COURT OF THE FOURTH JUDICIAL CIRCUIT IN AND FOR DUVAL COUNTY, FLORIDA GENERAL JURISDICTION DIVISION

CASE NO. 16-2023-CA-009832 Division: FC-D DLJ MORTGAGE CAPITAL

INC, Plaintiff, vs. THE UNKNOWN HEIRS, BENEFICIARIES, DEVISEES, GRANTEES, ASSIGNEES, LIENORS, CREDITORS, TRUSTEES AND ALL OTHERS WHO MAY CLAIM AN INTEREST IN THE ESTATE OF JOYCE LOCKHART, DECEASED, et. al.

Defendant(s), NOTICE OF ACTION -

CONSTRUCTIVE SERVICE

TO: THE UNKNOWN HEIRS, BENEFICIARIES, DEVISEES, GRANTEES, ASSIGNEES, LIENORS, CREDITORS, TRUSTEES AND ALL OTHERS WHO MAY CLAIM AN INTEREST IN THE ESTATE OF JOYCE LOCKHART, DECEASED, whose residence is unknown if he/she/they be living; and if he/she/they be dead, the unknown defendants who may be spouses, heirs, devisees, grantees, assignees, lienors, creditors, trustees, and all parties claiming an interest by, through, under or against the Defendants, who are not known to be dead or alive, and all parties having or claiming to have any right, title or interest in the property described in the

2023, the following described property as set forth in said Final Judgment, to-wit: LOT TWENTY-SEVEN (27) BLOCK TWO (2) FLORADALE UNIT THREE (3), ACCORDING TO PLAT THEREOF RECORDED IN PLAT BOOK 26, PAGES 84 AND 84A OF THE CURRENT RECORDS OF DUVAL COUNTY, FLORIDA. ANY PERSON CLAIMING AN INTEREST IN THE SURPLUS FROM THE SALE, IF ANY, OTHER THAN THE PROPERTY OWNER AS OF THE DATE OF THE LIS PENDENS MUST FILEA CLAIM NO LATERTHAN THE DATE THAT THE CLERK REPORTS THE FUNDS AS UNCLAIMED. Americans With Disabilities Act (ADA) Notice

In accordance with the Americans with Disabilities Act of 1990 (ADA), If you are a person with a disability who needs any accommodation in order to participate in this proceeding, you are entitled at no cost to you, to the provision of certain assistance. Please contact the ADA Coordinator at crtintrp@coj.net or (904) 2551695 at least 7 days before your scheduled court appearance, or immediately upon receiving this notification if the time before the scheduled appearance is less than 7 days; if you are hearing or voice impaired, call 711.

DATED: September 6, 2023

JODY PHILLIPS CLERK OF THE CIRCUIT COURT Duval County, Florida

By: Alice V. Griffin Deputy Clerk of Court (Court Seal)

Submitted

mortgage being foreclosed herein. YOU ARE HEREBY NOTIFIED that an action to foreclose a mortgage on the following property: LOT 10, FLORADALE UNIT 14, ACCORDING TO THE MAP OR PLAT THEREOF AS RECORDED IN PLAT BOOK 33, PAGE(S)

16, PUBLIC RECORDS OF DUVAL COUNTY, FLORIDA. has been filed against you and you are required to serve a copy of your written defenses, if any, to it on counsel for Plaintiff, whose address is 6409 Congress Ave., Suite 100, Boca Raton, Florida 33487 on or before 30 days from Date of First Publication of this Notice and file the original with the clerk of this court either before service on Plaintiff’s attorney or immediately thereafter; otherwise a default will be entered against you for the relief demanded in the complaint or petition filed herein.

WITNESS my hand and the seal of this Court at County, Florida, this 7th day of September, 2023.

JODY PHILLIPS CLERK OF THE CIRCUIT COURT

By: Joy E. Rodriguez Deputy Clerk (Court Seal) ROBERTSON, ANSCHUTZ, AND SCHNEID, PL ATTORNEY FOR PLAINTIFF 6409 Congress Ave., Suite 100 Boca Raton, FL 33487 PRIMARY EMAIL: flmail@raslg.com 23-123587 Sep. 14/21 00 (23-06169D)

FIRST INSERTION

FLORIDA RESILIENCY AND ENERGY DISTRICT NOTICE OF INTENT TO USE UNIFORM AD VALOREM METHOD OF COLLECTING NON-AD VALOREM ASSESSMENTS

The Florida Resiliency and Energy District (the “District” or “FRED”) hereby provides notice, pursuant to Section 197.3632(3) (a), Florida Statutes, of its intent to use the uniform ad valorem method of collecting non-ad valorem special assessments to be levied by the District over a number of years to fund the cost of qualifying renewable energy, energy efficiency and conservation and wind resistance improvements (collectively, “Qualifying Improvements”) for those property owners who wish to undertake such improvements within the unincorporated areas of Columbia County, Florida, St. Lucie County, Florida and Walton County, Florida and any participating incorporated municipality, town or village within the above designated counties; as authorized by Sections 163.08 and 197.3632, Florida Statutes, which will allow such assessments to be collected annually, commencing in November 2024, in the same manner as provided for ad valorem taxes.

The non-ad valorem special assessments to be levied by the District are voluntary and only imposed with the written consent of a property owner wishing to finance Qualifying Improvements.

The governing board of the District will consider the adoption of a resolution electing to use the uniform method of collecting such assessments authorized by Sections 163.08 and 197.3632, Florida Statutes, at a public hearing to be held on October 12, 2023 at 1:00 p.m., or as soon thereafter as the matter may be heard, at Florida Development Finance Corpo-

ration, 156 Tuskawilla Road, Suite 2340, Winter Springs FL 32708. INTERESTED PERSONS MAY ALSO ATTEND BY TELEPHONE

CONFERENCE USING THE INSTRUCTIONS BELOW.

TELEPHONE CONFERENCE

INSTRUCTIONS:

Dial-In Number:

1-877-853-5257, then use

Meeting ID: 838 6522 2792 and Passcode: 471289

Such resolution will state the need for the levy by the District and will contain a legal description of the jurisdictional boundaries of the District. Copies of the proposed form of resolution may be obtained in advance via email to the FRED Administrator at info@fdfcbonds.com or by contacting the Program Manager at 407-712-6352. All interested persons are invited to attend.

In the event any person decides to appeal any decision by the governing board of the District with respect to any matter relating to the consideration of the resolution at the above-referenced public hearing, a record of the proceeding may be needed and in such an event, such person may need to ensure that a verbatim record of the public hearing is made, which record includes the testimony and evidence on which the appeal is to be based. In accordance with the Americans with Disabilities Act, persons needing a special accommodation or an interpreter to participate in this proceeding should contact the Florida Resiliency and Energy District at 407712-6352 at least two (2) days prior to the date of the hearing. Persons who are hearing or speech impaired can contact the Florida Dual Party Relay System at 1-800955-8770 (Voice) and 1-800-9558771 (TDD). Sep. 14/21/28, Oct. 5 00 (23-06168D)

6B THURSDAY, SEPTEMBER 14, 2023
DAILY RECORD
JACKSONVILLE
Sep.
Oct.
14/21/28
5
www.duval.realforeclose.com AT 11:00AM on October
LOGS LEGAL GROUP LLP 2424 North Federal Highway, Suite 360 Boca Raton, Florida
(561) 998-6700 (561) 998-6707 Sep. 14/21 00 (23-06139D)
By: ATTORNEY FOR PLAINTIFF:
33431

PUBLIC NOTICES DUVAL COUNTY

FIRST INSERTION

sonville, FL 32225

IN THE CIRCUIT

COURT FOR THE FOURTH JUDICIAL CIRCUIT IN AND FOR DUVAL COUNTY, FLORIDA CIRCUIT CIVIL DIVISION

CASE NO.: 16-2022-CA-003365

Division: FC-B

CITIMORTGAGE, INC.

Plaintiff(s), vs. MINA W. MITTIAS; et al., Defendant(s).

RE-NOTICE OF FORECLOSURE SALE

NOTICE IS HEREBY GIVEN

THAT, pursuant to the Order

Granting Motion to Cancel and Reschedule Foreclosure Sale entered on July 28, 2023 in the above-captioned action, the Clerk of Court will sell to the highest and best bidder for cash at: www.duval.realforeclose.com in accordance with Chapter 45, Florida Statutes on the 12th day of October, 2023 at 11:00 AM on the following described property as set forth in said Final Judgment of Foreclosure or order, to wit:

Lot 14, HOLLY OAKS

MANOR REPLAT, a subdivision according to the plat thereof recorded at Plat Book 39 pages 56 and 56A in the Public Records of Duval County, Florida.

Property address: 10141 Classic Oak Road North, Jack-

Any person claiming an interest in the surplus from the sale, if any, other than the property owner as of the date of the lis pendens, must file a claim before the clerk reports the surplus as unclaimed. Americans With Disabilities Act (ADA) Notice

In accordance with the Americans with Disabilities Act of 1990 (ADA),

If you are a person with a disability who needs any accommodation in order to participate in this proceeding, you are entitled at no cost to you, to the provision of certain assistance. Please contact the ADA Coordinator at crtintrp@coj.net or (904) 2551695 at least 7 days before your scheduled court appearance, or immediately upon receiving this notification if the time before the scheduled appearance is less than 7 days; if you are hearing or voice impaired, call 711.

Dated: September 8, 2023

JODY PHILLIPS CLERK OF THE CIRCUIT COURT As Clerk of the Court

By:

Deputy Clerk (Court Seal) Padgett Law Group, Attorney for Plaintiff 6267 Old Water Oak Road, Suite 203 Tallahassee, FL 32312 attorney@padgettlawgroup.com Sep. 14/21 00 (23-06193D)

FIRST INSERTION

IN THE CIRCUIT COURT OF THE 4TH JUDICIAL CIRCUIT, IN AND FOR DUVAL COUNTY, FLORIDA. CASE No. 16-2021-CA-005780

DIVISION: FC-E

REVERSE MORTGAGE FUNDING LLC, Plaintiff, vs. UNKNOWN SPOUSE, HEIRS, DEVISEES, GRANTEES, ASSIGNEES, LIENORS, CREDITORS, TRUSTEES AND ALL OTHER PARTIES CLAIMING AN INTEREST BY, THROUGH, UNDER OR AGAINST LEILA LANEY, DECEASED, et al. Defendants. NOTICE OF FORECLOSURE SALE NOTICE IS HEREBY GIVEN pursuant to an Order or Final Judgment entered in Case No. 16-2021-CA-005780 of the Circuit Court of the 4TH Judicial Circuit in and for DUVAL County, Florida, wherein, REVERSE MORTGAGE FUNDING LLC, Plaintiff, and, UNKNOWN SPOUSE, HEIRS, DEVISEES, GRANTEES, ASSIGNEES, LIENORS, CREDITORS, TRUSTEES AND ALL OTHER PARTIES CLAIMING AN INTEREST BY, THROUGH, UNDER OR AGAINST LEILA LANEY, DECEASED, et al., are Defendants, I will sell to the highest bidder for cash at, www.duval.realforeclose.com at the hour of 11:00 AM, on the 11th day of October, 2023, the following described property: LOT 36 BLOCK 38 SHERWOOD FOREST UNIT

SEVEN ACCORDING TO THE PLAT THEREOF AS RECORDED IN PLAT BOOK 29 PAGES 41 41A-41C OF THE CURRENT PUBLIC RECORDS OF DUVAL COUNTY FLORIDA Any person claiming an interest in the surplus from the sale, if any, must file a claim per the requirements set forth in FL Stat. 45.032.

Americans With Disabilities Act (ADA) Notice

In accordance with the Americans with Disabilities Act of 1990 (ADA), If you are a person with a disability who needs any accommodation in order to participate in this proceeding, you are entitled at no cost to you, to the provision of certain assistance. Please contact the ADA Coordinator at crtintrp@coj.net or (904) 2551695 at least 7 days before your scheduled court appearance, or immediately upon receiving this notification if the time before the scheduled appearance is less than 7 days; if you are hearing or voice impaired, call 711.

DATED this 8th day of September, 2023.

JODY PHILLIPS Clerk Circuit Court

By: Brittany Weimer Deputy Clerk (Court Seal) GREENSPOON MARDER, LLP

100 West Cypress Creek Road Trade Centre South, Suite 700 Fort Lauderdale, Fl 33309 954-491-1120 (58341.1070/ NBray) Sep. 14/21 00 (23-06194D)

FIRST INSERTION

NOTICE OF RULEMAKING FOR CREDIT CARD USAGE FEES BY BEACH COMMUNITY DEVELOPMENT

DISTRICT

A public hearing will be conducted by the Board of Supervisors (“Board”) of the Beach Community Development District (“District”) on October 16, 2023, at 6:00 p.m., at 12788 Meritage Blvd., Jacksonville, Florida 32246.

In accordance with Chapters 190 and 120, Florida Statutes, the District hereby gives the public notice of its intent to adopt proposed rules that set fees related to the use of a credit card to pay for District fees and charges. The public hearing will provide an opportunity for the public to address the proposed fees. The proposed fees are as follows:

Credit Card Convenience Fee:

2% fee added to any and all fees or rates adopted by the District to be paid by any Patron seeking to pay such fee or rate with a credit card.

The proposed fees may be amended at the public hearing pursuant to discussion by the Board and public comment. The purpose and effect of the Rule is to provide for efficient District operations as provided for in Section 190.035, Florida Statutes. A copy of the proposed rules and additional information on the public hearing may be obtained by contacting the District Manager at Development Planning and Financing Group, 250 International Parkway, Suite 208, Lake Mary, Florida 32746, Ph: (321) 263-0132 (“District Manager’s Office”). Specific legal authority for the rule includes Sections

FIRST INSERTION

PUBLIC NOTICE

The Office of the Mayor of the City of Jacksonville, Florida, will require the services of a Consultant/Firm to provide services as State Lobbyist (P-35-23). All interested persons can download the RFP @ https://rfp.coj.net/ rfp/solicitation/SolicitationDefault.asp. The City of Jacksonville is an Equal Opportunity Employer and encourage expressions of interest for the described services from Jacksonville Small Emerging Businesses (JSEB). Replies must be delivered to the City of Jacksonville, Procurement Division, Attn: Professional Services Specialist, 214 N. Hogan Street, Suite 105, Jacksonville, FL, 32202. Proposals must be received no later than 2:00 p.m., Wednesday, October 4, 2023. Sep. 14 00 (23-06161D)

FIRST INSERTION

REQUEST FOR PROPOSALS

The City of Jacksonville Beach is inviting respondents to furnish the following: RFP No: 03-2223 INVOICE

PRINTING AND MAILING SERVICES FOR BEACHES

ENERGY SERVICES

Responses must be submitted in a sealed envelope, marked on the outside with the RFP Number. Reponses will be received until Wednesday, 2:00 p.m. October 11, 2023, and acknowledged publicly by the Property and Procurement Division, 1460A Shetter Avenue, Jacksonville Beach, FL 32250. The City shall reserve the right to reject any or all proposals not in the best interest of the City. If you require further information regarding this Request for Proposals, please visit our website at www.jacksonvillebeach.org, or email Property and Procurement at purchasing@jaxbchfl.net Sep. 14 00 (23-06181D)

FIRST INSERTION

IN THE COUNTY COURT, JUDICIAL CIRCUIT, IN AND FOR, DUVAL COUNTY, FLORIDA CASE NO.: 16-2023-CC-009409 DIVISION: CC-J CAROLINE FOREST OWNERS ASSOCIATION, INC. Plaintiff, vs. SERGEY CHERNEYCHUK AND NADIIA CHERNEYCHUK, Defendants.

NOTICE OF ACTION

TO: Sergey Cherneychuk and Nadiia Cherneychuk

YOU ARE NOTIFIED that the above-styled action to foreclose the lien on the following described property in Duval County, Florida: Lot 131, Caroline Forest, according to plat thereof recorded in Plat Book 44, Page 42, of current Public Records of Duval County, Florida.

Property Address:7613 Hovering Mist Way, Jacksonville, FL 32277 has been filed against you and you are required to serve a copy of your written defenses, if any, to it on Crabtree Law Group, P.A., 8777 San Jose Boulevard, Building A, Suite 200, Jacksonville, Florida 32217, (Phone Number: (904)7329701; Email: ems@crabtreefirm. com), Plaintiff’s attorney within thirty (30) days after the first publication of this notice and file the original with the Clerk of this

court either before service on Plaintiff’s attorney or immediately thereafter; otherwise a default will be entered against you for the relief demanded in the complaint. This notice shall be published once a week for two consecutive weeks in the Jacksonville Daily Record.

Americans With Disabilities Act (ADA) Notice

In accordance with the Americans with Disabilities Act of 1990 (ADA),

If you are a person with a disability who needs any accommodation in order to participate in this proceeding, you are entitled at no cost to you, to the provision of certain assistance. Please contact the ADA Coordinator at crtintrp@coj.net or (904) 2551695 at least 7 days before your scheduled court appearance, or immediately upon receiving this notification if the time before the scheduled appearance is less than 7 days; if you are hearing or voice impaired, call 711.

DATED on 8th day of September 2023.

JODY PHILLIPS CLERK OF COUNTY COURT

By: Brittany

Deputy Clerk (Court Seal) Crabtree Law Group, P.A. 8777 San Jose Boulevard Building A, Suite 200 Jacksonville, Florida 32217 ems@crabtreefirm.com Attorney for Plaintiff Sep. 14/21 00 (23-06188D)

FIRST INSERTION

IN THE CIRCUIT COURT, FOURTH JUDICIAL CIRCUIT, IN AND FOR DUVAL COUNTY, FLORIDA CASE NO. 16-2023-CA-009435 Division CV-A LUSH CORRI, Plaintiff,

190.011, 190.012(3), 190.035(2), 190.011(5) and 120.54, Florida Statutes. Prior Notice of Rule Development was published in the Jax Daily Record on September 7, 2023.

Any person who wishes to provide the District with a proposal for a lower cost regulatory alternative as provided by Section 120.541(1), Florida Statutes, must do so in writing within twenty-one (21) days after publication of this notice.

The public hearing may be continued to a date, time, and place to be specified on the record at the hearing. If anyone chooses to appeal any decision of the Board with respect to any matter considered at the public hearing, such person will need a record of the proceedings and should accordingly ensure that a verbatim record of the proceedings is made which includes the testimony and evidence upon which such appeal is to be based. At the hearing, one or more Supervisors or staff may participate in the public hearing by speaker telephone.

Pursuant to provisions of the Americans with Disabilities Act, any person requiring special accommodations to participate in this hearing is asked to advise the District Manager at least forty-eight (48) hours before the hearing by contacting the District Manager’s Office. If you are hearing or speech impaired, please contact the Florida Relay Service at 1 (800) 955-8770, who can aid you in contacting the District Manager’s Office. Sep. 14 00 (23-06187D)

vs. JAMES PERKINS a/k/a JAMES PERKINS, JR., if living and if deceased, his unknown spouses, heirs, devisees, grantees, creditors, and all other parties claiming by, through, under or against him; SHANDRELL THOMAS a/k/a SHANDRELL PERKINS, if living and if deceased, her unknown spouses, heirs, devisees, grantees, creditors, and all other parties claiming by, through, under or against her; JACETA L. WASHINGTON, if living and if deceased, her unknown spouses, heirs, devisees, grantees, creditors, and all other parties claiming by, through, under or against her; KENTON J. KING and KONDOWANI THOMAS, both if living and if deceased, their unknown spouses, heirs, devisees, grantees, creditors and all other parties claiming by, through, under or against them;

Defendants, NOTICE OF ACTION

TO:

JAMES PERKINS a/k/a

JAMES PERKINS, JR., if living and if deceased, his unknown spouses, heirs, devisees, grantees, creditors, and all other parties claiming by, through, under or against him;

Residence(s): Unknown

Last Known mailing address:

364 Green Leaf Drive

Montgomery, AL 36108

SHANDRELL THOMAS

a/k/a SHANDRELL PERKINS, if living and if deceased, her unknown spouses, heirs, devisees, grantees, creditors, and all other parties claiming by, through, under or against her;

Residence(s): Unknown

Last Known mailing address:

1248 Stoneypoint Drive Apt 102 Rock Hill, SC 39732

JACETA L. WASHINGTON, if living and if deceased, her unknown spouses, heirs, devisees, grantees, creditors, and all other parties claiming by, through, under or against

NOTICE OF MEETING

DARBY COMMUNITY

DEVELOPMENT DISTRICT

An Audit Committee Meeting of the Board of Supervisors (the “Board”) of the Darby Community Development District is scheduled to be held on Friday, September 29, 2023 at 10:00 a.m. located at 1819 Goodwin Street, Jacksonville, Florida 32204.

Immediately following will be the Regular Board of Supervisors Meeting.

The meetings are open to the public and will be conducted in accordance with the provisions of Florida Law for Community Development Districts. A copy of the agendas for these meetings may be obtained from the District Manager, 475 West Town Place, Suite 114, World Golf Village, St. Augustine, Florida 32092 (and phone (904) 940-5850). The meetings may be continued to a date, place and time certain, to be announced at the meetings. There may be occasions when one or more Supervisors will participate by telephone.

Any person requiring special accommodations at the meetings because of a disability or physical impairment should contact the District Manager at (904) 9405850 at least two calendar days prior to the meetings. If you are hearing or speech impaired, please contact the Florida Relay Service at 1-800-955-8770, for aid in contacting the District Office.

Each person who decides to appeal any action taken at the meetings is advised that person will need a record of proceedings and that accordingly, the person may need to ensure that a verbatim record of the proceedings is made, including the testimony and evidence upon which such appeal is to be based.

Daniel Laughlin District Manager Sep. 14 00 (23-06199D)

FIRST INSERTION

IN THE CIRCUIT COURT OF THE FOURTH JUDICIAL CIRCUIT, IN AND FOR DUVAL COUNTY, FLORIDA PROBATE DIVISION

File No.: 16-2023-CP-002280

Division: PR-A

IN RE: THE ESTATE OF MARTHA ANN SHAW, Deceased.

NOTICE TO CREDITORS

FIRST INSERTION

DUVAL COUNTY PUBLIC SCHOOLS INVITATION TO BID

SEALED BIDS WILL BE RECEIVED BY DUVAL COUNTY PUBLIC SCHOOLS, PURCHASING SERVICES, 1701 PRUDENTIAL DRIVE, JACKSONVILLE, FL 32207 (904) 858-4848 UNTIL THE TIME AND DATES AS FOLLOWS: Thursday, September 28, 2023 AT 2:00 P.M., CONFERENCE ROOM ITB-006-24/LN Clock and Bell Supplies BUYER: Nasworthy Sep. 14 00 (23-06197D)

FIRST INSERTION

NOTICE

Extra Space Storage will hold a public auction to sell personal property described below belonging to those individuals listed below at the location indicated: 3445 Plymouth Street Jacksonville FL 32205 on October 3rd, 2023 @ 2pm.

Peter Conwayhousehold goods, boxes

Ayanna Google - tv, dressers, bed

Makeesha James - clothes shoes

Samantha WhitnerHousehold goods

Stacy Harris - Household Goods Emily Bascomhousehold furniture clothes tv

Kamyrn Bretz - Household goods

Jarvis Alston - Household items Derrick Worthen - furniture 1 bed, 1 couch, table and 2 TV’s

The auction will be listed and advertised on www.storagetreasures.com. Purchases must be made with cash only and paid at the above referenced facility in order to complete the transaction. Extra Space Storage may refuse any bid and may rescind any purchase up until the winning bidder take’s possession of the personal property. Sep. 14/21 00 (23-06201D)

FIRST INSERTION IN THE COUNTY COURT, JUDICIAL DISTRICT, IN AND FOR, DUVAL COUNTY, FLORIDA CASE NO.: 16-2023-CC-004569 DIVISION: CC-A MARIETTA FORREST HOMEOWNERS ASSOCIATION, INC. Plaintiff, vs. REYNALDO MARQUEZ Defendants.

her; Residence(s): Unknown

Last Known mailing address: 1112 N. Durkee Drive

Jacksonville, FL 32209

KENTON J. KING if living and if deceased, his unknown spouses, heirs, devisees, grantees, creditors, and all other parties claiming by, through, under or against him;

Residence(s): Unknown

Last Known mailing address: 1248 Stoneypoint Drive Apt 102 Rock Hill, SC 39732

KONDWANI THOMAS if living and if deceased, his unknown spouses, heirs, devisees, grantees, creditors, and all other parties claiming by, through, under or against him;

Residence(s): Unknown

Last Known mailing address: 2265 W. 14th St. Jacksonville, FL 32209

YOU ARE NOTIFIED that an action to quiet title on the following property in Duval County, Florida: Lot 43, Block 39, of SHERWOOD FOREST, UNIT SEVEN, according to the plat thereof as recorded in Plat Book 29, Pages 41, 41A, 41B, and 41C of the public records of Duval County, Florida, aka 9441 Devonshire Blvd., Jacksonville, FL 32208. has been filed against you and, and you are required to serve a copy of your written defenses, if any, to it on BERNARD & SCHEMER. ESQUIRE, Plaintiffs attorney, whose address is 480 Busch Drive, Jacksonville, Florida 32218, on or before October 18, 2023 or within 35 days of the first date of publication of this notice, and file the original with the Clerk of this Court either before service on Plaintiffs attorney or immediately thereafter; otherwise, a default will be entered against you for the relief demanded in the complaint or petition.

WITNESS my hand and the seal of this Court on the 8th day of September, 2023.

JODY PHILLIPS Clerk of the Court

The administration of the estate of Martha Ann Shaw, deceased, whose date of death was January 1, 2022, is pending in the Circuit Court for Duval County, Florida, Probate Division, the address of which is 501 W. Adams Street, Jacksonville, FL 32202. The names and addresses of the personal representative and the personal representative’s attorney are set forth below.

All creditors of the Decedent and other persons having claims or demands against Decedent’s estate on whom a copy of this notice is required to be served must file their claims with this Court WITHIN THE LATER OF 3 MONTHS AFTER THE TIME OF THE FIRST PUBLICATION OF THIS NOTICE OR 30 DAYS AFTER THE DATE OF SERVICE OF A COPY OF THIS NOTICE ON THEM.

All other creditors of the Decedent and other persons having claims or demands against Decedent’s estate must file their claims with this Court WITHIN 3 MONTHS AFTER THE DATE OF THE FIRST PUBLICATION OF THIS NOTICE. ALL CLAIMS NOT FILED WITHIN THE TIME PERIODS SET FORTH IN SECTION 733.702 OF THE FLORIDA PROBATE CODE WILL BE FOREVER BARRED.

NOTWITHSTANDING THE TIME PERIODS SET FORTH ABOVE, ANY CLAIM FILED TWO (2) YEARS OR MORE AFTER THE DECEDENT’S DATE OF DEATH IS BARRED. The date of first publication of this notice is September 14, 2023.

Personal Representative Raymond Shaw 12119 Oak Haven Avenue Baton Rouge, LA 70810 THE HINSON LAW FIRM, P.A.

Matthew H. Hinson, Esq. Florida Bar No. 94017

Kathryn E. Stanfill, Esq. Florida Bar No. 1002636

300 West Adams St., Suite 500

Jacksonville, FL 32202

Phone: 904-527-1700

Fax: 904-355-8088

Matt@HinsonLawPA.com

Kathryn@HinsonLawPA.com

Attorney for Personal Representative Sep. 14/21 00 (23-06200D)

NOTICE OF SALE

Notice is given that pursuant to a Summary Final Judgment of Foreclosure entered on June 14, 2023, in the above styled civil action of the County Court, in and for DUVAL County, Florida, in which REYNALDO MARQUEZ is the Defendant, and MARIETTA FORREST HOMEOWNERS ASSOCIATION, INC., is the Plaintiff. The property will sell to the highest bidder for cash at 11:00 a.m. on October 5, 2023 on DUVAL County’s Public Auction website: www.duval.realforeclose.com in accordance with Chapter 45, Florida Statutes. Any person claiming an interest in the surplus from the sale, if any, other than the property owner as of the date of the lis pendens must file a claim before the clerk reports the surplus as unclaimed. The property to be sold as set forth in the Summary Final Judgment of Foreclosure is more particularly described as: Lot 23, MARIETTA FORREST, UNIT FOUR, according to plat thereof as recorded in Plat Book 51, Pages 60, 60A through 60D inclusive of the current public records of Duval County, Florida.

Americans With Disabilities Act (ADA) Notice

In accordance with the Americans with Disabilities Act of 1990 (ADA), If you are a person with a disability who needs any accommodation in order to participate in this proceeding, you are entitled at no cost to you, to the provision of certain assistance. Please contact the ADA Coordinator at crtintrp@coj.net or (904) 2551695 at least 7 days before your scheduled court appearance, or immediately upon receiving this notification if the time before the scheduled appearance is less than 7 days; if you are hearing or voice impaired, call 711.

Dated this 8th day of September, 2023.

JODY PHILLIPS CLERK OF COUNTY COURT

THURSDAY, SEPTEMBER 14, 2023 7B JACKSONVILLE DAILY RECORD
Sep. 14/21
Deputy Clerk (Court Seal) Plaintiff’s Attorney: Crabtree Law Group, P.A. 8777 San Jose Boulevard Bldg A, Ste 200 Jacksonville, FL 32217
00 (23-06192D)
FIRST INSERTION

FIRST INSERTION

FIRST

INSERTION IN THE CIRCUIT COURT FOR DUVAL COUNTY, FLORIDA PROBATE DIVISION

FILE NO.: 16-2023-CP-000767 DIVISION: PR-B IN RE: ESTATE OF MARK LAVAINE HOWARD, DECEASED. NOTICE OF ACTION (Formal Notice by Publication)

To: All known and unknown heirs, beneficiaries, creditors, or all others who may have an interest in the above

estate YOU ARE NOTIFIED that a Petition to Appoint Administrator Ad Litem and a Petition for Administration has been filed in this court. You are required to serve a copy of your written defenses, if any, on petitioner's attorney, whose name and address are: L. Michael Maddox, Esq 2119 Riverside Ave Jacksonville, Florida 32204 on or before October 23, 2023, and to file the original of the written defenses with the clerk of this court either before service or immediately thereafter. Failure to serve and file written defenses as required may result in a judgment or order for relief demanded, without further notice.

Dated on September 7, 2023.

JODY PHILLIPS As Clerk of the Court

NOTICE UNDER FICTITIOUS NAME LAW

According to Florida Statute Number 865.09 NOTICE IS HEREBY GIVEN that the undersigned, desiring to engage in business under the Fictitious Name of Je Veux Online located at 10512 Collins Field Cir, in the City of Jacksonville, FL, Duval County, Florida 32222 intends to register the said name with the Division of Corporations of the Department of State, Tallahassee, Florida. Dated at Jacksonville, Florida, this 11th day of September, 2023. Cheryl Joseph Sep. 14 00 (23-06209D)

FIRST INSERTION IN THE CIRCUIT COURT, FOURTH JUDICIAL CIRCUIT, IN AND FOR DUVAL COUNTY, FLORIDA PROBATE DIVISION CASE NO.: 16-2023-CP-001942 DIVISION: PR-A IN RE: ESTATE OF ALVIN DARNELL DAVIS Deceased.

NOTICE TO CREDITORS

FIRST INSERTION

IN THE CIRCUIT COURT OF THE FOURTH JUDICIAL CIRCUIT, IN AND FOR DUVAL COUNTY, FLORIDA CASE NO.: 16-2023-CA-008993 DIVISION: CV-A HABITAT FOR HUMANITY OF JACKSONVILLE, INC., a Florida corporation, Plaintiff,

Vs. K.C.S. REAL ESTATE INVESTMENT GROUP, INC., a Florida corporation, Defendant.

NOTICE OF ACTION

FIRST INSERTION

IN THE COUNTY COURT, JUDICIAL DISTRICT, IN AND FOR, DUVAL COUNTY, FLORIDA

CASE NO.: 16-2023-CC-006388

DIVISION: CC-D

MARIETTA FORREST HOMEOWNERS ASSOCIATION, INC.

Plaintiff, vs. MICHAEL B HERNDON

Defendants.

NOTICE OF SALE

FIRST INSERTION

NOTICE OF AGENCY ACTION TAKEN BY THE ST. JOHNS RIVER WATER MANAGEMENT DISTRICT

Notice is given that the following permit was issued on September 8, 2023.

By:

Torre As Deputy Clerk (Court Seal) Sep. 14/21/28, Oct. 5 00 (23-06217D)

FIRST INSERTION

NOTICE OF PUBLIC SALE

THOMPSON ENTERPRISES OF JACKSONVILLE, LLC gives Notice of Foreclosure of Lien and intent to sell these vehicles on Tuesday, September 26th, 2023, at 10:00 am. Location: 7600 BAILEY BODY ROAD. JACKSONVILLE, FL 32216, pursuant to subsection 713.78 of the Florida Statutes. THOMPSON ENTERPRISES OF JACKSONVILLE, LLC reserves the right to accept or reject and/or all bids. Cash only, day of sale. No titles, warranties, or guarantee of titles. As is.

The administration of the Estate of Alvin Darnell Davis, deceased, whose date of death was June 12, 2022, is pending in the Circuit Court for Duval County, Florida, Probate Division, the address of which is 501 West Adams Street, Jacksonville, FL 32202. The names and addresses of the personal representative and the personal representative’s attorney are set forth below.

All creditors of the decedent and other persons having claims or demands against decedent’s estate on whom a copy of this notice is required to be served must file their claims with this court ON OR BEFORE THE LATER OF 3 MONTHS AFTER THE TIME OF THE FIRST PUBLICATION OF THIS NOTICE OR 30 DAYS AFTER THE DATE OF SERVICE OF A COPY OF THIS NOTICE ON THEM.

All other creditors of the decedent and other persons having claims or demands against decedent’s estate must file their claims with this court WITHIN

3 MONTHS AFTER THE DATE OF THE FIRST PUBLICATION OF THIS NOTICE.

ALL CLAIMS NOT FILED WITHIN THE TIME PERIODS SET FORTH IN FLORIDA STATUTES SECTION 733.702 WILL BE FOREVER BARRED. NOTHWITHSTANDING THE TIME PERIODS SET FORTH ABOVE, ANY CLAIM FILED

TWO (2) YEARS OR MORE AFTER THE DECEDENT’S DATE OF DEATH IS BARRED.

The date of first publication of this notice is 14th day of September, 2023.

Personal Representative: DEBORA ALICIA-RENEE DAVIS Attorney for Personal Representative: LATONYA LIPSCOMB SMITH Florida Bar No.: 110441 3225 University Blvd. S., Ste. 220 Jacksonville, FL 32216

Telephone: (904) 717-0959 Facsimile: (904) 855-4117

Email: latonya.smith@trls.org Sep. 14/21 00 (23-06210D)

FIRST INSERTION

IN THE CIRCUIT COURT OF THE FOURTH JUDICIAL CIRCUIT IN AND FOR DUVAL COUNTY FLORIDA CIRCUIT CIVIL DIVISION

CASE NO.: 16-2023-CC-008767 DIVISION: CC-C

U.S. BANK TRUST NATIONAL ASSOCIATION, AS TRUSTEE FOR LB-DWELLING SERIES V TRUST, Plaintiff, vs. UNKNOWN HEIRS, SPOUSES, BENEFICIARIES, DEVISEES, GRANTEES, ASSIGNEES, LIENORS, CREDITORS, TRUSTEES AND ALL OTHERS WHO MAY CLAIM AN INTEREST IN THE ESTATE OF CORRINE FRAZIER, et al., Defendants.

NOTICE OF ACTION

TO: UNKNOWN HEIRS, SPOUSES, BENEFICIARIES, DEVISEES, GRANTEES, ASSIGNEES, LIENORS, CREDITORS, TRUSTEES AND ALL OTHERS WHO MAY CLAIM AN INTEREST IN THE ESTATE OF CORRINE FRAZIER

Last Known Address: Unknown

TO: VONCEILA ONEAL

Last Known Address: 2624 Eventide Drive, Jacksonville, FL 32209

YOU ARE HEREBY NOTIFIED that an action to foreclosure a mortgage on the following property located in Duval County,

TO DEFENDANT, K.C.S. REAL ESTATE INVESTMENT GROUP, INC., a Florida corporation, the unknown assigns, successors in interest, trustees, or any other party claiming by, through, under, or against the named limited liability company or legal entity, whose last known address is Amber Lake, its Registered Agent, 5359 Gathering Oaks Court, East, Jacksonville, Florida 32258, and whose current address is not known, and all claimants, persons who are parties, natural or corporate, or whose exact legal status is unknown, claiming under any of the above-named or described Defendant or parties who are claiming to have any right, title or interest in and to the land hereinafter described:

YOU ARE NOTIFIED that an action to quite title to the following property in Duval County, Florida:

LOT 36, BLOCK 4, NORTH LAVILLA, ACCORDING TO THE PLAT THEREOF AS RECORDED IN PLAT BOOK

1, PAGE 124, OF THE CURRENT PUBLIC RECORDS OF DUVAL COUNTY, FLORIDA. R.E. # 052126-0010 has been filed against you and you are required to serve a copy of your written defenses, if any, to it on REHAN N. KHAWAJA, ESQUIRE, the Plaintiff’s attorney, whose address is 817 North Main Street, Jacksonville, Florida 32202, on or before October 22, 2023, and file the original with the clerk of this court either before service on the Plaintiff’s attorney or immediately thereafter; otherwise a default will be entered against you for the relief demanded in the Complaint.

DATED: This September 7th, 2023.

JODY PHILLIPS CLERK OF CIRCUIT COURT

By: Joy E. Rodriguez Deputy Clerk (Court Seal) Sep. 14/21/28, Oct. 5 00 (23-06216D)

Notice is given that pursuant to a Summary Final Judgment of Foreclosure entered on August 28, 2023, in the above styled civil action of the County Court, in and for DUVAL County, Florida, in which MICHAEL B HERNDON is the Defendant, and MARIETTA FORREST HOMEOWNERS ASSOCIATION, INC., is the Plaintiff. The property will sell to the highest bidder for cash at 11:00 a.m. on October 12, 2023, on DUVAL County’s Public Auction website: www.duval.realforeclose.com in accordance with Chapter 45, Florida Statutes. Any person claiming an interest in the surplus from the sale, if any, other than the property owner as of the date of the lis pendens must file a claim before the clerk reports the surplus as unclaimed. The property to be sold as set forth in the Summary Final Judgment of Foreclosure is more particularly described as: Lot 35, MARIETTA FORREST UNIT FOUR, according to plat thereof as recorded in Plat Book 51, Pages 60, 60A, 60B, 60C and 60D of the Current Public Records of Duval County, Florida.

Americans With Disabilities Act (ADA) Notice

In accordance with the Americans with Disabilities Act of 1990 (ADA), If you are a person with a disability who needs any accommodation in order to participate in this proceeding, you are entitled at no cost to you, to the provision of certain assistance. Please contact the ADA Coordinator at crtintrp@coj.net or (904) 2551695 at least 7 days before your scheduled court appearance, or immediately upon receiving this notification if the time before the scheduled appearance is less than 7 days; if you are hearing or voice impaired, call 711. Dated this 11th day of September, 2023. JODY PHILLIPS CLERK OF COUNTY COURT

(Court Seal)

Plaintiff’s Attorney: Crabtree Law Group, P.A. 8777 San Jose Boulevard Bldg A, Ste 200 Jacksonville, FL 32217 Sep. 14/21 00 (23-06213D)

FIRST INSERTION

Novo Northlake Owner, LLC, 999 Peachtree St. NE, STE 900, Atlanta, GA 30309, permit # 102299-4. The project is located in Duval County, Section 33, Township 1N, Range 26E. The permit authorizes construction and operation of a Stormwater Management System for a 20.25acre project known as Lem Turner Multifamily as per plans received by the District on July 13, 2023. The receiving water body is Broward River

A person whose substantial interests are or may be affected has the right to request an administrative hearing by filing a written petition with the St. Johns River Water Management District (District). Pursuant to Chapter 28-106 and Rule 40C-1.1007, Florida Administrative Code (F.A.C.), the petition must be filed (received) either by delivery at the office of the District Clerk at District Headquarters, P.O. Box 1429, Palatka FL 32178-1429 (4049 Reid St, Palatka, FL 32177) or by e-mail with the District Clerk at Clerk@sjrwmd.com, within twenty-one (21) days of newspaper publication of the notice of District decision (for those persons to whom the District does not mail or email actual notice). A petition must comply with Sections 120.54(5)(b)4. and 120.569(2)(c), Florida Statutes (F.S.), and Chapter 28-106, F.A.C. The District will not accept a petition sent by facsimile (fax). Mediation pursuant to Section 120.573, F.S., may be available and choosing mediation does not affect your right to an administrative hearing.

A petition for an administrative hearing is deemed filed upon receipt of the complete petition by the District Clerk at the District Headquarters in Palatka, Florida during the District’s regular business hours. The District’s regular

business hours are 8 a.m. – 5 p.m., excluding weekends and District holidays. Petitions received by the District Clerk after the District’s regular business hours shall be deemed filed as of 8 a.m. on the District’s next regular business day. The District’s acceptance of petitions filed by e-mail is subject to certain conditions set forth in the District’s Statement of Agency Organization and Operation (issued pursuant to Rule 28-101.001, Florida Administrative Code), which is available for viewing at floridaswater.com. These conditions include, but are not limited to, the petition being in the form of a PDF or TIFF file and being capable of being stored and printed by the District.

Further, pursuant to the District’s Statement of Agency Organization and Operation, attempting to file a petition by facsimile (fax) is prohibited and shall not constitute filing. The right to an administrative hearing and the relevant procedures to be followed are governed by Chapter 120, Florida Statutes, Chapter 28-106, Florida Administrative Code, and Rule 40C-1.1007, Florida Administrative Code. Because the administrative hearing process is designed to formulate final agency action, the filing of a petition means the District’s final action may be different from the position taken by it in this notice. Failure to file a petition for an administrative hearing within the requisite time frame shall constitute a waiver of the right to an administrative hearing. (Rule 28-106.111, F.A.C.)

If you wish to do so, please visit http://floridaswater.com/nor_ dec/ to read the complete Notice of Rights to determine any legal rights you may have concerning the District’s decision(s) on the permit application(s) described above. You can also request the Notice of Rights by contacting the Director of Regulatory Support, 4049 Reid St., Palatka, FL 321772529, tele. no. (386)329-4570. Sep. 14 00 (23-06223D)

FIRST INSERTION

NOTICE OF CONDEMNATION

THE CITY OF JACKSONVILLE, DEPARTMENT OF NEIGHBORHOODS, HAS INSPECTED THE FOLLOWING PROPERTY(S) AND FOUND IT TO BE IN VIOLATION OF CHAPTER 518 (PROPERTY SAFETY & MAINTENANCE CODE) OF THE MUNICIPAL CODE.

recorded in Book 10957 Page 2312 of the Public records of Duval County, Florida.

8125 Mc Glothlin St described as RE# 013219-0100 recorded in Book 12410 Page 978 of the Public records of Duval County, Florida.

13258 W Pate Rd described as RE#106430-0070 recorded in Book 6966 Page 83 of the Public records of Duval County, Florida.

Florida: LOT 14, BLOCK 3, SUNNY ACRES UNIT 3, ACCORDING TO THE PLAT THEREOF AS RECORDED IN PLAT BOOK 31, PAGE 38, PUBLIC RECORDS OF DUVAL COUNTY, FLORIDA. including the buildings, appurtenances, and fixture located thereon.

Property Address: 2624 Eventide Dr., Jacksonville, FL 32209 (the “Property”). filed against you and you are required to serve a copy of your written defenses, if any, to it on HARRIS S. HOWARD, ESQ., of HOWARD LAW GROUP, Plaintiff’s attorney, whose address is 4755 Technology Way, Suite 104 Boca Raton, FL 33431 no later than 30 days from the date of the first publication of this Notice of Action and file the original with the Clerk of this Court either before service on Plaintiff’s attorney or immediately thereafter; otherwise a default will be entered against you for the relief demanded in the Complaint or petition filed herein.

WITNESS my hand and seal of this Court at Duval, Florida on this 11th day of September, 2023.

JODY PHILLIPS DUVAL COUNTY CLERK OF COURT

By: Brittany

As Deputy Clerk (Court Seal)

IN THE CIRCUIT COURT OF THE FOURTH JUDICIAL CIRCUIT IN AND FOR DUVAL COUNTY, FLORIDA Case No. 16-2023-CA-001104 Division: FC-C MCLP ASSET COMPANY, INC., Plaintiff, VS. SARALEY INEZ MIESMER; UNKNOWN TENANT #1 N/K/A BRENDA MCCANN; UNKNOWN TENANT #2 N/K/A SARALEY HORTON; MV REALTY PBC, LLC; ANY AND ALL UNKNOWN PARTIES CLAIMING BY, THROUGH, UNDER AND AGAINST THE HEREIN NAMED INDIVIDUAL DEFENDANT(S) WHO ARE NOT KNOWN TO BE DEAD OR ALIVE, WHETHER SAID UNKNOWN PARTIES MAY CLAIM AN INTEREST AS SPOUSES, HEIRS, DEVISEES, GRANTEES, OR OTHER CLAIMANTS Defendant(s).

NOTICE OF FORECLOSURE SALE

PURSUANT TO CHAPTER 45

NOTICE IS HEREBY GIVEN that sale will be made pursuant to an Order or Final Judgment. Final Judgment was awarded on August 24, 2023 in Civil Case No. 16-2023-CA-001104, of the Circuit Court of the FOURTH Judicial Circuit in and for Duval County, Florida, wherein, MCLP ASSET COMPANY, INC. is the Plaintiff, and SARALEY INEZ MIESMER; UNKNOWN TENANT #1 N/K/A BRENDA MCCANN; UNKNOWN TENANT #2 N/K/A SARALEY HORTON; MV REALTY PBC, LLC; ANY AND ALL UNKNOWN PARTIES CLAIMING BY, THROUGH, UNDER AND AGAINST THE HEREIN NAMED INDIVIDUAL DEFENDANT(S) WHO ARE NOT KNOWN TO BE DEAD OR ALIVE, WHETHER SAID UNKNOWN PARTIES MAY CLAIM AN INTEREST AS SPOUSES, HEIRS, DEVISEES, GRANTEES, OR OTHER

CLAIMANTS are Defendants. The Clerk of the Court, Jody Phillips will sell to the highest bidder for cash at: www.duval.realforeclose.com on October 10, 2023 at 11:00:00 AM EST the following described real property as set forth in said Final Judgment, to wit: LOT 2, BLOCK 1, SPRING LAKE, UNIT 1, ACCORDING TO PLAT THEREOF RECORDED IN PLAT BOOK 37, PAGES 27 AND 27A, OF THE CURRENT PUBLIC RECORDS OF DUVAL COUNTY, FLORIDA. Any person claiming an interest in the surplus from the sale, if any, other than the property owner as of the date of the lis pendens must file a claim before the clerk reports the surplus as unclaimed. Americans With Disabilities Act (ADA) Notice

In accordance with the Americans with Disabilities Act of 1990 (ADA), If you are a person with a disability who needs any accommodation in order to participate in this proceeding, you are entitled at no cost to you, to the provision of certain assistance. Please contact the ADA Coordinator at crtintrp@coj.net or (904) 2551695 at least 7 days before your scheduled court appearance, or immediately upon receiving this notification if the time before the scheduled appearance is less than 7 days; if you are hearing or voice impaired, call 711. WITNESS my hand and the seal of the court on September 11, 2023.

JODY PHILLIPS

CLERK OF THE COURT

LLP

ALDRIDGE

Attorney for Plaintiff 5300 West Atlantic Avenue Suite 303 Delray Beach, FL 33484

Telephone: 561-392-6391

Facsimile: 561-392-6965

Primary E-Mail: ServiceMail@aldridgepite.com

1230-158B Sep. 14/21 00 (23-06214D)

1745 Academy St described as RE# 051333-0000 recorded in Book 20738 Page 1243 of the Public records of Duval County, Florida.

3339 Aldridge Mall described as RE# 166939-0000 recorded in Book 16257 Page 1924 of the Public records of Duval County, Florida.

5668 Avenue B described as RE# 027910-0000 recorded in Book 16912 Page 855 of the Public records of Duval County, Florida.

14033 Benton St described as RE# 107659-0010 recorded in Book 20686 Page 244of the Public records of Duval County, Florida.

2502 Blanding Bv described as RE# 094758-0000 recorded in Book 18518 Page 1014 of the Public records of Duval County, Florida.

187 Castleberry Rd described as RE# 107835-0020 recorded in Book 10757 Page 97 of the Public records of Duval County, Florida.

1646 N Davis St described as RE# 107835-0020 recorded in Book 10757 Page 97 of the Public records of Duval County, Florida.

4748 Derrickson Ct described as RE# 013082-0770 recorded in

Book 6654 Page 1161 of the Public records of Duval County, Florida.

4430 Detalille Dr described as RE# 041174-0000 recorded in Book 17357 Page 1658 of the Public records of Duval County, Florida.

2827 Fitzgerald St described as RE# 056258-0000 recorded in Book 20620 Page 2328 of the Public records of Duval County, Florida.

11166 Joel St described as RE# 110991-0000 recorded in Book 20730 Page 1801 of the Public records of Duval County, Florida.

1902 Kings Rd described as RE# 051271-0000 recorded in

Book 9399 Page 1473 of the Public records of Duval County, Florida.

5532 Lenox Ave described as RE# 067876-0000 recorded in

Book 8391 Page 2363 of the Public records of Duval County, Florida.

11464 E Mandarin Woods Dr described as RE# 156332-2032

3138 Phyllis St described as RE#063412-0000 recorded in Book 15170 Page 1189 of the Public records of Duval County, Florida.

4738 N Safa Cir described as RE#068088-0000 recorded in Book 20545 Page 2147 of the Public records of Duval County, Florida.

14346 Tiki La described as RE#108088-0000 recorded in Book 1637 Page 317 also see Deed Book 20708 Page 1408 of the Public records of Duval County, Florida.

1318 Townsend Bv described as RE#142763-0000 recorded in Book 9428 Page 1793 also see Deed Book 9992 Page 1805 of the Public records of Duval County, Florida.

12544 Yellow Bluff Rd described as RE#106921-0000 recorded in Book 7748 Page 1273 of the Public records of Duval County, Florida. 8662 2nd Ave described as RE#036871-0000 recorded in Book 14570 Page 329 of the Public records of Duval County, Florida.

125 West 22nd St described as RE#133694-0000 recorded in Book 20699 Page 2272 of the Public records of Duval County, Florida.

1334 West 24th St described as RE#086617-0000 recorded in Book 19614 Page 1424 of the Public records of Duval County, Florida.

The Property(s) has been condemned and the City may proceed with corrective action pursuant to Section 518.304, if the unsafe conditions are not terminated forthwith. The cost of such action will be a lien and special tax upon the property. Further information concerning the City’s condemnation and abatement action may be obtained by contacting the Municipal Code Compliance Division, 214 N Hogan Street, 7th Floor, Jacksonville, Florida 32202 Phone Number 255-7000. Thomas Register Division Chief Municipal Code Compliance Division Sep. 14/21/28, Oct. 5 00 (23-06222D)

THURSDAY, SEPTEMBER 14, 2023 9B JACKSONVILLE DAILY RECORD
PUBLIC NOTICES DUVAL COUNTY
Sep.
14/21 00 (23-06212D)
N0V1N070220231111 0000 UNKNOWN 19XFB2F82CE322941 2012 HOND 1C6RR7LG5GS222540 2016 RAM 1G11A5SA7DF118742 2013 CHEVROLET 1GBDM19W5SB103932 1995 CHEV 1HGCM56304A126084 2004 HOND 1J4GW48S62C268413 2002 JEEP 1N4AA5AP9AC855148 2010 NISS 2GNALCEK3G6246721 2016 CHEV 5XYKUDA6XDG414233 2013 KIA JHMGE8H51BC000944 2011 HONDA KMHCN4AC7BU542296 2011 HYUN KMHDH4AE3EU099100 2014 HYUN KMHDU46DX8U510637 2008 HYUN KNAGM4A77F5532506 2015 KIA SAJDA01C4YFL49731 2000 JAGU WAUBFAFL0BN040449 2011 AUDI Sep. 14 00 (23-06203D)

FIRST INSERTION

IN THE CIRCUIT COURT OF THE FOURTH JUDICIAL CIRCUIT IN AND FOR DUVAL COUNTY, FLORIDA CIVIL ACTION

CASE NO.: 16-2022-CA-004608

DIVISION: FC-A

U.S. BANK NATIONAL ASSOCIATION, Plaintiff, vs. THE UNKNOWN HEIRS, DEVISEES, GRANTEES, ASSIGNEES, LIENORS, CREDITORS, TRUSTEES, OR OTHER CLAIMANTS CLAIMING BY, THROUGH, UNDER, OR AGAINST, VIVIAN JAMES AKA VIVIAN M. JAMES, DECEASED, et al, Defendant(s).

NOTICE OF RESCHEDULED SALE

NOTICE IS HEREBY GIVEN

Pursuant to an Order Rescheduling Foreclosure Sale dated August 9, 2023, and entered in Case No. 16-2022-CA-004608 of the Circuit Court of the Fourth Judicial Circuit in and for Duval County, Florida in which U.S. Bank National Association, is the Plaintiff and The Unknown Heirs, Devisees, Grantees, Assignees, Lienors, Creditors, Trustees, or other Claimants claiming by, through, under, or against, Vivian James aka Vivian M. James, deceased, Angela Wiley, Robert L. James, III, Martha James, are defendants, the Duval County Clerk of the Circuit Court will sell to the highest and best bidder for cash in/on Duval County’s Public Auction website:

www.duval.realforeclose.com

Duval County, Florida at 11:00AM on the 10th day of October, 2023, the following described property as set forth in said Final Judgment of Foreclosure:

LOT 41, SOMERTON PLACE, ACCORDING TO THE PLAT THEREOF AS RECORDED IN PLAT BOOK 46, PAGES 74, 74A AND 74B, OF THE CURRENT PUBLIC RECORDS OF DUVAL COUNTY, FLORIDA. A/K/A 5113 N GLEN ALAN

CT JACKSONVILLE FL 32210

Any person claiming an interest in the surplus from the sale, if any, other than the property owner as of the date of the Lis Pendens must file a claim before the Clerk reports the surplus as unclaimed. Americans With Disabilities Act (ADA) Notice In accordance with the Americans with Disabilities Act of 1990 (ADA),

If you are a person with a disability who needs any accommodation in order to participate in this proceeding, you are entitled at no cost to you, to the provision of certain assistance.

Please contact the ADA Coordinator at crtintrp@coj.net or (904) 2551695 at least 7 days before your scheduled court appearance, or immediately upon receiving this notification if the time before the scheduled appearance is less than 7 days; if you are hearing or voice impaired, call 711.

Dated in Duval County, Florida this 12th day of September, 2023.

Clerk of the Circuit Court Duval County, Florida

(Court Seal) Albertelli Law

Attorney for Plaintiff P.O. Box 23028 Tampa, FL 33623 (813) 221-4743 CT - 22-000790 Sep. 14/21 00 (23-06230D)

FIRST INSERTION

STATE OF FLORIDA DEPARTMENT

OF ENVIRONMENTAL PROTECTION NOTICE OF INTENT TO ISSUE PERMIT

The Department of Environmental Protection gives notice of its intent to issue a permit to JEA, Wayne Young, 225 North Pearl Street, Jacksonville, Florida 32202 to construct and operate a new Biosolids Treatment Facility to replace the existing facility which is reaching the end of useful life. This facility will have the same 64.1 dry tons per day Class AA pelletized biosolids product capacity as the existing facility and will process biosolids for all 12 JEA owned wastewater treatment facilities. The facility is located at latitude 30o 21’ 5.49”N, longitude 81o 37’ 49.79” W on 2221 Buckman St, Jacksonville, Florida 32206-3357 in Duval County. The Department has assigned permit file number FLA188077-013DW1S to the proposed project.

The intent to issue and application file are available for public inspection during normal business hours, 8:00 a.m. to 5:00 p.m., Monday through Friday, except legal holidays, at the Department’s Northeast District Office, 8800 Baymeadows Way West, Suite 100, Jacksonville, Florida 32256-7577, at phone number (904)256-1700.

NOTICE OF RIGHTS

The Department will issue the permit unless a petition for an administrative hearing is timely filed under Sections 120.569 and 120.57, F.S., before the deadline for filing a petition. On the filing of a timely and sufficient petition, this action will not be final and effective until further order of the Department. Because the administrative hearing process is designed to formulate final agency action, the hearing process may result in a modification of the agency action or even denial of the application. Petition for Administrative Hearing

A person whose substantial interests are affected by the Department’s action may petition for an administrative proceeding (hearing) under Sections 120.569 and 120.57, F.S. Pursuant to Rules 28-106.201 and 28-106.301, F.A.C., a petition for an administrative hearing must contain the following information:

(a) The name and address of each agency affected and each agency’s file or identification number, if known;

(b) The name, address, any e-mail address, any facsimile number, and telephone number of the petitioner, if the petitioner is not represented by an attorney or a qualified representative; the name, address, and telephone number of the petitioner’s representative, if any, which shall be the address for service purposes during the course of the proceeding; and an explanation of how the petitioner’s substantial interests will be affected by the agency determination;

(c) A statement of when and how the petitioner received notice of the Department’s agency decision;

FIRST INSERTION FIRST INSERTION

COPE’S LANDING COMMUNITY DEVELOPMENT DISTRICT NOTICE OF MEETING

The Board of Supervisors (“Board”) of the Cope’s Landing Community Development District (“District”) will hold a Special Meeting on September 27, 2023 at 11:00 a.m., at 14785 Old St. Augustine Road, Suite 300, Jacksonville, Florida 32258 to consider matters related to the 2023 Bonds and preclosing, as well as any consider any other business that may properly come before it.

The meeting is open to the public and will be conducted in accordance with the provision of Florida law. The meeting may be continued to a date, time, and place to be specified on the record at the meetings. A copy of the agenda for the meeting may be obtained by contacting the offices of the District Manager, Wrathell, Hunt & Associates, LLC, 2300 Glades Road, Suite 410W, Boca Raton, Florida 33431, (561) 571-0010, during normal business hours.

There may be occasions when one or more Supervisors or staff will participate by telephone. Pursuant to provisions of the Americans with Disabilities Act, any person requiring special accommodations at the meeting because of a disability or physical impairment should contact the District Office at (561) 571-0010 at least 48 hours prior to the meeting. If you are hearing or speech impaired, please contact the Florida Relay Service by dialing 7-1-1, or 1-800-955-8771 (TTY) / 1-800-955-8770 (Voice), for aid in contacting the District Office.

IN THE CIRCUIT COURT OF THE FOURTH JUDICIAL CIRCUIT IN AND FOR DUVAL COUNTY, FLORIDA CASE NO.: 16-2022-CA-006586

DIVISION: FC-D NEWREZ LLC D/B/A SHELLPOINT MORTGAGE SERVICING, Plaintiff, VS. UNKNOWN HEIRS, BENEFICIARIES, DEVISEES, SURVIVING SPOUSE, GRANTEES, ASSIGNEE, LIENORS, CREDITORS, TRUSTEES, AND ALL OTHER PARTIES CLAIMING AN INTEREST BY, THROUGH, UNDER, OR AGAINST THE ESTATE OF VICKI J. WATSON A/K/A VICKI WATSON, DECEASED; et al., Defendant(s).

NOTICE OF ACTION

FIRST INSERTION

NOTICE UNDER FICTITIOUS NAME LAW PURSUANT TO SECTION 865.09, FLORIDA STATUTES NOTICE IS HEREBY GIVEN that Melody Melvin / MELODY KEYBOARD CONNECTION, INC will engage in business under the fictitious name KEYBOARD CONNECTION, with a physical address 9912 San Jose Blvd Jacksonville, FL 32257, with a mailing address 9912 San Jose Blvd Jacksonville, FL 32257, and already registered the name mentioned above with the Florida Department of State, Division of Corporations. Sep. 14 00 (23-06224D)

NOTICE UNDER FICTITIOUS NAME LAW PURSUANT TO SECTION 865.09, FLORIDA STATUTES NOTICE IS HEREBY GIVEN that Alexx Bishop will engage in business under the fictitious name ALEXX GRAY ART, with a physical address 12737 Chandler View Court Jacksonville, FL 32218, with a mailing address 12737 Chandler View Court Jacksonville, FL 32218, and already registered the name mentioned above with the Florida Department of State, Division of Corporations. Sep. 14 00 (23-06225D)

FIRST INSERTION

Florida.

(d) A statement of all disputed issues of material fact. If there are none, the petition must so indicate;

(e) A concise statement of the ultimate facts alleged, including the specific facts that the petitioner contends warrant reversal or modification of the agency’s proposed action;

(f) A statement of the specific rules or statutes the petitioner contends require reversal or modification of the agency’s proposed action, including an explanation of how the alleged facts relate to the specific rules or statutes; and

(g) A statement of the relief sought by the petitioner, stating precisely the action that the petitioner wishes the agency to take with respect to the agency’s proposed action.

The petition must be filed (received by the Clerk) in the Office of General Counsel of the Department at 3900 Commonwealth Boulevard, Mail Station 35, Tallahassee, Florida 32399-3000, or via electronic correspondence at Agency_Clerk@FloridaDEP. gov. Also, a copy of the petition shall be mailed to the applicant at the address indicated above at the time of filing.

Time Period for Filing a Petition

Petitions filed by any persons other than the applicant, and other than those entitled to written notice under Section 120.60(3), F.S., must be filed within 14 days of publication of the notice or within 14 days of receipt of the written notice, whichever occurs first. The failure to file a petition within the appropriate time period shall constitute a waiver of that person’s right to request an administrative determination (hearing) under Sections 120.569 and 120.57, F.S., or to intervene in this proceeding and participate as a party to it. Any subsequent intervention (in a proceeding initiated by another party) will be only at the discretion of the presiding officer upon the filing of a motion in compliance with Rule 28-106.205, F.A.C.

Extension of Time

Under Rule 62-110.106(4), F.A.C., a person whose substantial interests are affected by the Department’s action may also request an extension of time to file a petition for an administrative hearing. The Department may, for good cause shown, grant the request for an extension of time.

Requests for extension of time must be filed with the Office of General Counsel of the Department at 3900 Commonwealth Boulevard, Mail Station 35, Tallahassee, Florida 32399-3000, or via electronic correspondence at Agency_Clerk@FloridaDEP. gov, before the deadline for filing a petition for an administrative hearing. A timely request for extension of time shall toll the running of the time period for filing a petition until the request is acted upon.

Mediation

Mediation is not available in this proceeding. Sep. 14 00 (23-06226D)

A person who decides to appeal any decision made at the meeting with respect to any matter considered at the meeting is advised that person will need a record of the proceedings and that accordingly, the person may need to ensure that a verbatim record of the proceedings is made, including the testimony and evidence upon which such appeal is to be based.

District Manager Sep. 14 00 (23-06204D)

TO: Frances Dillon Last Known Residence: 166 Nickel Loop Slidell LA 70458 YOU ARE NOTIFIED that an action to foreclose a mortgage on the following property in DUVAL County, Florida: LOT 118, KENDALL POINTE TOWNHOMES, ACCORDING TO THE PLAT THEREOF RECORDED IN PLAT BOOK 58, PAGES 195, 196, 197, 198 AND 199, PUBLIC RECORDS OF DUVAL COUNTY, FLORIDA has been filed against you and you are required to serve a copy of your written defenses, if any, to it on ALDRIDGE PITE, LLP, Plaintiff’s attorney, at 5300 West Atlantic Avenue Suite 303 Delray Beach, FL 33484, on or before 30 days from the first date of publication, and file the original with the clerk of this court either before service on Plaintiff’s attorney or immediately thereafter; otherwise a default will be entered against you for the relief demanded in the complaint or petition.

Dated on September 1, 2023.

JODY PHILLIPS

As Clerk of the Court

As Deputy Clerk (Court Seal)

1133-2770B Sep. 14/21 00 (23-06218D)

FIRST INSERTION

IN THE. CIRCUIT COURT OF THE 4TH JUDICIAL CIRCUIT, IN AND FOR DUVAL COUNTY, FLORIDA CIVIL DIVISION CASE NO: 16-2022-CA-003089 DIVISION FC-A BANK OF AMERICA, N.A., Plaintiff, vs. UNKNOWN HEIRS, BENEFICIARIES, DEVISEES ASSIGNEES, LIENORS, CREDITORS, TRUSTEES AND ALL OTHERS WHO MAY CLAIM AN INTEREST IN THE ESTATE OF ROSALIND L. LYDE A/K/A ROSALIND LASHAWN LYDE; JARRELL ANTOINE COLLINS; NEIGHBORHOOD ASSISTANCE CORPORATION OF AMERICA; UNKNOWN TENANT #1 ; UNKNOWN TENANT #2 Defendants.

NOTICE OF FORECLOSURE SALE

NOTICE IS HEREBY GIVEN pursuant to Final Judgment of Foreclosure date the 5th day of September, 2023, and entered in Case No. 16-2022-CA-003089 of the Circuit Court of the 4TH Judicial Circuit in and for Duval County; Florida, wherein BANK OF AMERICA, N.A., is the Plaintiff and UNKNOWN HEIRS, BENEFICIARIES, DEVISEES, ASSIGNEES, LIENORS, CREDITORS, TRUSTEES AND ALL OTHERS WHO MAY CLAIM AN INTEREST IN THE ESTATE OF ROSALIND L. LYDE A/K/A ROSALIND LASHAWN LYDE; JARRELL ANTOINE COLLINS; NEIGHBORHOOD ASSISTANCE CORPORATION OF AMERICA; UNKNOWN TENANT #1; UNKNOWN TENANT #2 are defendants. The Clerk of this Court shall sell to ‘the highest and best bidder for cash electronically at: www.duval.realforeclose.com in accordance with Chapter 45, Florida Statutes at, 11 :00 AM on the 6th day of November, 2023, the following described property as set forth in said Final Judgement, to wit:

A portion of the Northeast ¼ of Section 8, Township 1 South, Range 26 East, Duval County, Florida, and being more particularly described as follows: Commence at the Northeast corner of Lot 8, Block 7, as shown on the plat of Biscayne Terrace Unit One, as recorded in Plat Book 31, Pages 88 through 88A inclusive of the current public records of said county; thence South 00 degrees 32 minutes 18 seconds East along the easterly line of said Biscayne Ter-

IN THE CIRCUIT COURT OF THE FOURTH JUDICIAL CIRCUIT IN AND FOR DUVAL COUNTY, FLORIDA

Case No.: 16-2023-CA-000430

Division: FC-H

Real Estate Investors Loan

Source, LLC, Plaintiff, vs. Innovative Investment Holdings, LLC; Ira Evans, Jr.; Saundria Evans; Robert Brown, III, Defendants.

NOTICE OF SALE

NOTICE IS HEREBY GIVEN that pursuant to a final Judgment of Foreclosure entered on June 22, 2023 in Case No. 16-2023CA-000430 of the Circuit Court of the Fourth Judicial Circuit in and for Duval County, Florida, Real Estate Investors Loan Source, LLC, Plaintiff, vs. Innovative Investment Holdings, LLC; Ira Evans, Jr.; Saundria Evans; Robert Brown, III,, Defendants, the Clerk of Court will on October 26, 2023 11:00 a.m. EST, offer for sale to the highest and best bidder for cash at www.duval.realforeclose.com the following described property situated in Duval County, Florida: Lot ,4 PINE HILL, according to the plat thereof as recorded in Plat Book 25, Page 69, of the current public records of Duval County,

A/K/A 7230 Melvin Road, Jacksonville, FL 32210

Any person claiming an interest in the surplus from the sale, if any, other than the property owner as of the date of the Lis Pendens must file a claim before the clerk reports the surplus as unclaimed.

Americans With Disabilities Act (ADA) Notice

In accordance with the Americans with Disabilities Act of 1990 (ADA), If you are a person with a disability who needs any accommodation in order to participate in this proceeding, you are entitled at no cost to you, to the provision of certain assistance. Please contact the ADA Coordinator at crtintrp@coj.net or (904) 2551695 at least 7 days before your scheduled court appearance, or immediately upon receiving this notification if the time before the scheduled appearance is less than 7 days; if you are hearing or voice impaired, call 711.

Date: September 12, 2023

JODY PHILLIPS Clerk of the Circuit Court

(Court Seal) H. Daniel McKillop, Esq. pleadings@mckilloplawfirm.com 7563 Philips Highway, Building 500 Jacksonville, FL 32256 Sep. 14/21 00 (23-06229D)

race Unit One, 61.54 feet to the point of beginning; thence North 89 degrees 18 minutes 51 seconds East 118.76 feet to the westerly right of way line of North Campus Boulevard (a 100 foot right of way as now established), thence South 00 degrees 41 minutes 09 seconds East along said westerly right of way line 60.00 feet, thence South 89 degrees 18 minutes 51 seconds West 116.48 feet to the aforesaid easterly line of Biscayne Terrace Unit One; thence North 20 degrees 45 minutes 00 seconds West along said easterly line 7.03 feet; thence North 00 degrees 32 minutes 18 seconds West along said easterly line 53.40 feet to the point of beginning.

ANY PERSON CLAIMING AN INTEREST IN THE SURPLUS FROM THE SALE, IF ANY, OTHER THAN THE PROPERTY OWNER AS OF THE DATE OF THE LIS PENDENS MUST FILE A CLAIM BEFORE THE CLERK REPORTS THE. SURPLUS AS UNCLAIMED. THE COURT, IN ITS DISCRETION, MAY ENLARGE THE TIME.; OF THE SALE. NOTICE OF THE CHANGED TIME OF SALE SHALL BE PUBLISHED AS PROVIDED HEREIN.

Americans With Disabilities Act

(ADA) Notice

In accordance with the Americans with Disabilities Act of 1990 (ADA), If you are a person with a disability who needs any accommodation in order to participate in this proceeding, you are entitled at no cost to you, to the provision of certain assistance. Please contact the ADA Coordinator at crtintrp@coj.net or (904) 255-1695 at least 7 days before your scheduled court appearance, or immediately upon receiving this notification if the time before the scheduled appearance is less than 7 days; if you are hearing or voice impaired, call 711.

Dated this 11th day of September, 2023.

JODY PHILLIPS Clerk of the Circuit Court

(Court Seal)

FRENKEL LAMBERT WEISS

WEISMAN & GORDON, LLP

Attorney for Plaintiff One East Broward Boulevard, Suite 1111 Fort Lauderdale, FL 33301 Telephone:

IN THE CIRCUIT COURT FOR DUVAL COUNTY, FLORIDA PROBATE DIVISION FILE NO. 16-2023-CP-002095

DIVISION: PR-B IN RE: ESTATE OF LLOYD E. DAGLEY, DECEASED NOTICE TO CREDITORS

FIRST INSERTION IN THE CIRCUIT COURT FOR DUVAL COUNTY, FLORIDA PROBATE DIVISION FILE NO.: 16-2023-CP-002533 DIVISION: PR-B IN RE: ESTATE OF JEFFREY ALAN RUDZIAK, Deceased. NOTICE TO CREDITORS

The formal administration of the estate of Lloyd E. Dagley, deceased, whose date of death was April 6, 2023, is pending in the Circuit Court for Duval County, Florida Probate Division, the address of which is Circuit Court for Duval County Florida Probate Division 501 W. Adams St. Jacksonville, FL 32202. The name and address of the personal representative and the personal representative’s attorney are set forth below.

All creditors of the decedent and other persons having claims or demands against decedent’s estate on whom a copy of this notice is required to be served, must file their claims with this court WITHIN THE LATER OF

3 MONTHS AFTER THE TIME OF THE FIRST PUBLICATION OF THIS NOTICE OR 30 DAYS AFTER THE DATE OF SERVICE OF A COPY OF THIS NOTICE ON THEM.

All other creditors of the decedents and other persons having claims or demands against decedent’s estate must file their claims with this court WITHIN

3 MONTHS AFTER THE DATE OF THE FIRST PUBLICATION OF THIS NOTICE. ALL CLAIMS NOT FILED WITHIN THE PERIODS SET FORTH IN SECTION 733.702 OF THE FLORIDA PROBATE CODE WILL BE FOREVER BARRED. NOTWITHSTANDING THE TIME PERIOD SET FORTH ABOVE, ANY CLAIM FILED

TWO (2) YEARS OR MORE AFTER THE DECEDENT’S DATE OF DEATH IS BARRED.

The first date of publication of this Notice is September 14, 2023.

Personal Representative: Shirley F. Taylor 480 W 9th Street Atlantic Beach, FL 32233

Attorney for Personal Representative:

Courtney Walters, Esq. Florida Bar No. 86269 302 3rd Street, Suite 2, Neptune Beach, FL 32266

Telephone & Fax: (904) 429-4755

Email: courtney@jaxtreep.com

Sep. 14/21 00 (23-06221D)

The administration of the estate of JEFFREY ALAN RUDZIAK, deceased, whose date of death was August 14, 2023, is pending in the Circuit Court, for Duval County, Florida, Probate Division, the address of which is: 501 West Adams Street, Jacksonville, Florida 32202. The names and addresses of the personal representative and the personal representative’s attorney are set forth below.

All creditors of the decedent and other persons having claims or demands against decedent’s estate on whom a copy of this notice is required to be served must file their claims with this court ON OR BEFORE THE LATER OF

3 MONTHS AFTER THE TIME OF THE FIRST PUBLICATION OF THIS NOTICE OR 30 DAYS AFTER THE DATE OF SERVICE OF A COPY OF THIS NOTICE ON THEM.

All other creditors of the decedent and other persons having claims or demands against decedent’s estate must file their claims with this court WITHIN

3 MONTHS AFTER THE DATE OF THE FIRST PUBLICATION OF THIS NOTICE.

ALL CLAIMS NOT FILED WITHIN THE TIME PERIODS SET FORTH IN FLORIDA STATUTES SECTION 733.702 WILL BE FOREVER BARRED. NOTWITHSTANDING THE TIME PERIODS SET FORTH ABOVE, ANY CLAIM FILED TWO (2) YEARS OR MORE AFTER THE DECEDENT’S DATE OF DEATH

10B THURSDAY, SEPTEMBER 14, 2023 JACKSONVILLE DAILY RECORD PUBLIC NOTICES DUVAL COUNTY
IS BARRED. The date of first publication of this Notice is September 14, 2023. Personal Representative: SUZETTE ALEXANDER 4554 Huntington Road Jacksonville, FL 32210 Attorney for Personal Representative: ROBERT A. DAWKINS, ESQUIRE Florida Bar No. 307122 Fisher, Tousey, Leas & Ball 818 North A1A, Suite 104 Ponte Vedra Beach, FL 32082 (904) 356-2600 rdawkins@fishertousey.com Sep. 14/21 00 (23-06220D) FIRST INSERTION
(954)
PRIMARY E-MAIL FOR SERVICE
TO FLA. R. JUD.
2.516 fleservice@flwlaw.com Sep. 14/21 00 (23-06215D)
(954) 522-3233 Fax
200-7770 DESIGNATED
PURSUANT
ADMIN
FIRST INSERTION

THE FLORIDA BAR BOARD OF GOVERNORS

651 E. Jefferson St. | Tallahassee, FL 32399-2300 | Phone: (850) 561-5600 | www.floridabar.org

We’re on a mission to help & support.

The Florida Bar is the organization of all lawyers licensed by the Supreme Court of Florida to practice law in the state. The Florida Bar’s core functions are to: Regulate the practice of law in Florida; ensure the highest standards of legal professionalism in Florida; and protect the public by prosecuting unethical attorneys and preventing the unlicensed practice of law.

Joshua E. Doyle EXECUTIVE DIRECTOR

jdoyle@floridabar.org

Phone: (850) 561-5757 The Florida Bar Tallahassee

Michael Fox Orr (04-01) Orr | Cook

50 North Laura Street, Suite 1675 Jacksonville, Florida 32202-3611

Phone: (904) 358-8300 | morr@orrcook.com

Scott Westheimer PRESIDENT

swestheimer@smrl.com

Phone: (941) 365-7171 Syprett, Meshad, Resnick, Lieb, et al. Sarasota

W. Braxton Gillam IV (04-02) Milam Howard Nicandri & Gillam

14 East Bay Street Jacksonville, Florida 32202-3413

Phone: (904) 357-3660 | bgillam@milamhoward.com

Roland SanchezMedina, Jr. PRESIDENT-ELECT

roland@smgqlaw.com

Phone: (305) 377-1000 Sanchez-Medina, Gonzalez, Quesada, Lage, Crespo et al. Miami

Philip J. Bonamo (07-01) Rice Law Firm

222 Seabreeze Boulevard

Daytona Beach, Florida 32118-4026

Phone: (386) 257-1222 | pbonamo@ricelawflorida.com

VOLUNTARY BAR ASSOCIATIONS & AFFILIATIONS

Chester Bedell

American Inn of Court

Clay County Bar Association

P.O. Box 755 | Orange Park, FL 32067-0755

Catholic Lawyers Guild of the Diocese of St. Augustine www.facebook.com/Catholic-LawyersGuild-425198064236015/

Email: diocese@dosafl.com

Catholic Lawyers Gild meets every other month, attends First Friday Mass together, and is a non-profit organization under the Diocese of St. Augustine. CLG is open to all lawyers and judges in the Northeast Florida area.

P.O. Box 2156 | Jacksonville, FL 32203

www.dwperkinsbar.com

Email: deperkins@gmail.com

The Daniel Webster Perkins Bar Association Inc. was named after D.W. Perkins, who was one of the first African Americans to practice law in Duval County. Its mission and purpose continues to be that of a change agent to improve the plight of the African American community and to combat the effects of racial and social injustices.

1 Independent Drive, Suite 120 | Jacksonville, FL 32202 | www.jaxbar.org

Email: admin@jaxbar.org

Organized in February, 1897 with 33 members, the Jacksonville Bar Association’s mission is to encourage collegiality and serve our members in the practice of law, aid in the administration of justice, and foster respect for the law and the legal profession. The Jacksonville Bar Association serves as the forum for our profession –willing to take action and try innovative ways to better serve our membership and the public.

www.jwla.org

Email: jwla.treasurer@gmail.com

The Jacksonville Women Lawyers Association (JWLA) was founded in 1982 to provide support and networking for women lawyers in Jacksonville. JWLA membership is open to all attorneys, male or female, in Jacksonville and surrounding counties.  JWLA is a chapter of the Florida Association for Women Lawyers (FAWL). Our mission is to actively promote gender equality and the leadership roles of our members in the legal profession, judiciary and community at large.

Robert

Email: info@innsofcourt.org

www.innsofcourt.org/inns/bedellinn

Email: info@innsofcourt.org

The Bedell Inn was named after Chester Bedell (19041981), a trial lawyer in Jacksonville for 57 years. Built upon daily excellence in courtroom work, a deep respect for the law, and an unquestioned reputation for professionalism, he was recognized as the most outstanding trial lawyer in Florida. Each member strives towards the excellence he displayed.

E. Robert Williams American Inn of Court

www.innsofcourt.org/inns/erwilliamsinn

Email: info@innsofcourt.org

The E. Robert Williams American Inn of Court comprises lawyers, judges, mediators, and law students who are significantly involved in the workers’ compensation area of law in Jacksonville. The Inns’ mission is to promote professionalism, provide tutelage and mentoring amongst the Inns’ members while playing an active part in North Florida’s legal community.

Jacksonville Beaches Bar Association

www.jaxbeachbar.org

Serving Atlantic Beach, Jacksonville Beach, Mayport Beach, Neptune Beach & Ponte Vedra Beach

The Jacksonville Beaches Bar Association is committed to ensuring superior legal services are provided to the Beaches community. Our members offer a full spectrum of legal services to both individuals and businesses. They are dedicated to the ethical and professional practice of law.

St. Augustine American Inn of Court

www.innsofcourt.org/inns/staugustineinn

The St. Augustine American Inn of Court is dedicated to the ideals of the legal profession and the improvement of the practice through education, mentorship, and service. Our Inn strives to encourage professionalism, ethics and civility across the bench and bar.

St. Johns Association for Women Lawyers

www.stjawl.org

The mission of the St. Johns Association for Women Lawyers is to recognize the leadership roles of its members and to promote gender equality in the legal profession, in the judiciary, and in the community at large.

www.claybarfl.com

Email: claycountybar@aol.com

The Clay County Bar Association is an active voluntary Bar association. We host monthly networking luncheons and other events during the year, with the highlight being our Law Day Luncheon in May of each year. We are active in the community and have a history of awarding scholarships to local high school students each year. Our motto is promoting collegiality, furthering competency, and inspiring professional pride.

Florida Chapters American Board of Trial Advocates – Jacksonville Chapter

Email: abotajax@gmail.com

Jacksonville Bankruptcy Bar Association

www.jaxbkybar.com

Email: info@jaxbkybar.com

Jacksonville Justice Association

P.O. Box 551636 | Jacksonville, FL 32255 www.jacksonvillejustice.org

Email: jacksonvillejustice@gmail.com

The Jacksonville Justice Association (JJA) is a non-profit organization of civil justice attorneys that represent those injured by negligence or malpractice. Established in 1996 with the goal of providing civil justice attorneys with the tools and resources needed to improve and enhance their trial practices, it continues today by offering its members educational and professional development through quarterly networking meetings, continuing legal education seminars and an extensive deposition and legal document databank.

St. Johns County Bar Association

www.stjohnscountybar.com

Email: scjbarassociation@gmail.com

The SJCBA offers private social and educational events to our members, assists our legal aid, and is committed to strong public outreach. The SJCBA is made up of 100+ members and has a board of seven members with a variety of legal backgrounds.

The Florida Family Law

American Inn of Court www.innsofcourt.org/inns/flfamilylawinn

Email: info@innsofcourt.org

The mission of the American Inns of Court is to foster excellence in professionalism, ethics, civility, and legal skills for judges, lawyers, academicians, and students of the law in order to perfect the quality, availability and efficiency of justice in the United States.

THURSDAY, SEPTEMBER 14, 2023 11B JACKSONVILLE DAILY RECORD
M. Foster American Inn of Court

PUBLIC NOTICES

NOTICE OF PUBLIC HEARING NOTICE IS HEREBY GIVEN

THAT ON TUESDAY, THE 26th DAY OF SEPTEMBER, A.D., 2023, AT 5:00 O’CLOCK P.M., THE COUNCIL OF THE CITY OF JACKSONVILLE WILL HOLD A PUBLIC HEARING IN COUNCIL CHAMBER, TO CONSIDER THE FOLLOWING PROPOSED ORDINANCES

2023-604

AN ORDINANCE APPROV-

ING AND AUTHORIZING

THAT CERTAIN SETTLEMENT

AGREEMENT BETWEEN THE CITY OF JACKSONVILLE AND FRANKLIN DODD, JR., AS TRUSTEE, UNDER LAND TRUST #055660 DATED JANUARY 17, 2013 (THE “AGREEMENT”), AND AUTHORIZING

THE MAYOR, OR HER DESIGNEE, AND THE CORPORATION

SECRETARY TO EXECUTE AND DELIVER ALL CLOSING AND OTHER DOCUMENTS RELATING THERETO, AND TO OTHERWISE TAKE ALL ACTION

NECESSARY TO EFFECTU-

ATE THE PURPOSES OF THE AGREEMENT, FOR ACQUISITION BY THE CITY, AT THE NEGOTIATED SETTLEMENT PRICE OF $180,000 IN LIEU OF EMINENT DOMAIN, OF THE PARCEL LOCATED AT 281 KING STREET, JACKSONVILLE, FLORIDA (R.E. NO. 0556600000) IN COUNCIL DISTRICT 7, TO BE USED FOR THE MCCOY’S CREEK RESTORATION PROJECT; PROVIDING FOR OVERSIGHT OF ACQUISITION OF THE PROPERTY BY THE REAL ESTATE DIVISION OF THE DEPARTMENT OF PUBLIC WORKS AND THEREAFTER BY THE DEPARTMENT OF PUBLIC WORKS; PROVIDING AN EFFECTIVE DATE.

2023-605

AN ORDINANCE APPROPRIATING $2,238,565 FROM THE GENERAL FUND GSD PROPERTY TAXES ACCOUNT TO THE GENERAL FUND GSD SPECIALIZED EQUIPMENT ACCOUNT TO PROVIDE FUNDING TO THE SUPERVISOR OF ELECTIONS FOR THE PURCHASE OF SCANNERS AND TABULATORS FOR VARIOUS POLLING LOCATIONS; PROVIDING FOR CARRYOVER OF FUNDS; REQUESTING ONE CYCLE EMERGENCY PASSAGE; PROVIDING AN EFFECTIVE DATE. 2023-606

AN ORDINANCE APPROPRIATING $90,000.00 FROM DESIGNATED SPECIAL COUNCIL CONTINGENCY TO PROVIDE FUNDING FOR THE CITY OF JACKSONVILLE’S CONTRIBUTION TO THE NORTHEAST FLORIDA FIRE WATCH COUNCIL; REQUESTING ONE CYCLE EMERGENCY PASSAGE; PROVIDING FOR OVERSIGHT BY THE GRANTS AND CONTRACT COMPLIANCE DIVISION; PROVIDING AN EFFECTIVE DATE. 2023-607

AN ORDINANCE APPROPRIATING $1,814,173 FROM A GENERAL FUND/GSD DESIGNATED CONTINGENCY TO FUND CITY COUNCIL MEMBER SALARIES AND BENEFITS FOR FISCAL YEAR 2023-2024; APPROVING POSITIONS; REQUESTING ONE CYCLE EMERGENCY PASSAGE; PROVIDING AN EFFECTIVE DATE. 2023-608

AN ORDINANCE APPROPRIATING $300,000.00 FROM GENERAL FUND/GSD OPERATING RESERVES TO SUBSIDIES AND CONTRIBUTIONS TO PRIVATE ORGANIZATIONS FOR A GRANT TO CLARA WHITE MISSION, INC., FOR THE WHITE HARVEST FARMS CULINARY VOCATIONAL TRAINING PROGRAM; APPROVING, AND AUTHORIZING THE MAYOR, OR HER DESIGNEE, AND THE CORPORATION SECRETARY TO EXECUTE AND DELIVER ON BEHALF OF THE CITY, A CITY GRANT AGREEMENT BETWEEN THE CITY OF JACKSONVILLE AND CLARA WHITE MISSION, INC.; INVOKING THE EXEMPTION IN SECTION 126.107(G) (EXEMPTIONS), PART 1 (GENERAL REGULATIONS), CHAPTER 126 (PROCUREMENT CODE), ORDINANCE CODE; WAIVING SECTION 118.107 (NONPROFITS TO RECEIVE FUNDING THROUGH A COMPETITIVE EVALUATED AWARD PROCESS), PART 1 (GENERAL PROVISIONS), CHAPTER 118 (CITY GRANTS), ORDINANCE CODE, TO ALLOW

A DIRECT CONTRACT WITH

CLARA WHITE MISSION, INC.; REQUESTING ONE CYCLE EMERGENCY PASSAGE; PRO -

VIDING FOR OVERSIGHT BY THE GRANTS AND CONTRACT COMPLIANCE DIVISION; PROVIDING AN EFFECTIVE DATE.

2023-609 AN ORDINANCE APPROPRIATING $250,000 FROM A GENERAL FUND OPERATING CONTINGENCY ACCOUNT DESIGNATED TO ADDRESS CRITICAL QUALITY OF LIFE ISSUES (CQLI) SPECIAL COMMITTEE INITIATIVES TO THE PARKS, RECREATION AND COMMUNITY SERVICES DEPARTMENT, SOCIAL SERVICES DIVISION ($200,000), AND THE MILITARY AFFAIRS AND VETERANS DEPARTMENT ($50,000), FOR RENTAL AND UTILITY ASSISTANCE TO QUALIFIED HOUSEHOLDS IN DUVAL COUNTY; PROVIDING FOR CARRYOVER OF FUNDS TO FISCAL YEAR 2023-2024; REQUESTING ONE CYCLE EMERGENCY PASSAGE; PROVIDING AN EFFECTIVE DATE. 2023-610 AN ORDINANCE AUTHORIZING A CARRYOVER OF FUNDS PREVIOUSLY APPROPRIATED BY ORDINANCE 2021-382-E AND SUBSEQUENTLY RE-APPROPRIATED AND CARRIED OVER IN ORDINANCE 2022-93E; APPROVING, AND AUTHORIZING THE MAYOR, OR HER DESIGNEE, AND THE CORPORATION SECRETARY TO EXECUTE AND DELIVER AN AMENDMENT TO THE GRANT AGREEMENT FOR HISTORIC STANTON SCHOOL BUILDING BETWEEN THE CITY OF JACKSONVILLE AND HISTORIC STANTON, INC. TO EXTEND THE TERM OF THE AGREEMENT TO EXPIRE ON SEPTEMBER 30, 2024; PROVIDING FOR OVERSIGHT BY THE GRANTS AND CONTRACT COMPLIANCE DIVISION; REQUESTING ONE CYCLE EMERGENCY PASSAGE; PROVIDING AN EFFECTIVE

DATE.

2023-612

AN ORDINANCE DECLARING THAT FLORIDA PACE FUNDING AGENCY’S CONTINUED OPERATION IN THE CITY OF JACKSONVILLE WITHOUT AUTHORIZATION FROM THE CITY OF JACKSONVILLE IS A PUBLIC HEALTH, SAFETY AND WELFARE EMERGENCY AND AUTHORIZING THE OFFICE OF GENERAL COUNSEL TO INITIATE LITIGATION, AS APPROPRIATE, TO STOP FLORIDA PACE FUNDING AGENCY OPERATIONS IN THE CITY OF JACKSONVILLE; PROVIDING AN EFFECTIVE DATE.

2023-613

AN ORDINANCE AMENDING CHAPTER 609 (CODE ENFORCEMENT CITATIONS), ORDINANCE CODE, SECTION 609.104 (PROCEDURES), ORDINANCE CODE; SPECIFICALLY REVISING SUBSECTION (J)

(1) TO ADD A NEW SUBSECTION (6) FOR THE MUNICIPAL CODE COMPLIANCE DIVISION TO ELIMINATE THE REQUIREMENT TO MAIL CITATIONS BY CERTIFIED MAIL, RETURN RECEIPT REQUESTED; PROVIDING CODIFICATION INSTRUCTIONS; PROVIDING AN EFFECTIVE DATE. 2023-614

AN ORDINANCE REGARDING VOTING PRECINCTS; APPROVING THE REVISION AND CHANGES OF CERTAIN VOTING PRECINCT BOUNDARIES IN THE CITY OF JACKSONVILLE, DUVAL COUNTY, FLORIDA, IN RESPONSE TO LITIGATION BROUGHT AGAINST THE SUPERVISOR OF ELECTIONS, AS REQUESTED BY THE SUPERVISOR OF ELECTIONS PURSUANT TO SECTIONS 352.101 AND 352.102, ORDINANCE CODE; PROVIDING FOR COUNTY PRECINCT MAPS AND POLLING PLACES ON FILE AND ONLINE; PROVIDING AN EFFECTIVE DATE. 2023-615

AN ORDINANCE AMENDING VARIOUS SECTIONS OF CHAPTER 652 (FLOODPLAIN MANAGEMENT), ORDINANCE CODE, TO INCORPORATE THE FLORIDA STATE FLOODPLAIN MANAGEMENT OFFICE’S RECOMMENDATIONS FOR THE CITY OF JACKSONVILLE TO MAINTAIN CURRENT RATINGS WITH THE NATIONAL FLOOD INSURANCE PROGRAM (“NFIP”) COMMUNITY RATING SYSTEM (“CRS”); DIRECTING THAT THE LOCAL TECHNICAL AMENDMENTS TO

TION OF BUILDING CODE), ORDINANCE CODE, NOW BE PROVIDED IN THE LAND DEVELOPMENT PROCEDURES MANUAL BY THE DEVELOPMENT SERVICES DIVISION OF THE PLANNING AND DEVELOMENT DEPARTMENT TO ENABLE THE PUBLIC TO HAVE EASY ACCESS TO THOSE AMENDMENTS; REPEALING SECTION 321.109 (ELEVATION REQUIREMENTS), CHAPTER 321 (ADOPTION OF BUILDING CODE), ORDINANCE CODE, IN ITS ENTIRETY; CREATING A NEW SECTION 321.109 (ELEVATION REQUIREMENTS), CHAPTER 321 (ADOPTION OF BUILDING CODE), ORDINANCE CODE, SO THAT THE LOCAL TECHNICAL AMENDMENTS MADE TO THE FLORIDA BUILDING CODE READ CORRECTLY BOTH ON-LINE AND IN PRINTED FORM; AMENDING SECTION 321.110 (SUBSTANTIAL DAMAGE AND SUBSTANTIAL IMPROVEMENT DEFINITIONS), CHAPTER 321 (ADOPTION OF BUILDING CODE), ORDINANCE CODE, TO REMOVE REFERENCE TO THE EDITION OF THE FLORIDA BUILDING CODE; AMENDING SECTION 652.203 (BASIS FOR ESTABLISHING FLOOD HAZARD AREAS), PART 2 (APPLICABILITY), CHAPTER 652 (FLOODPLAIN MANAGEMENT), ORDINANCE CODE, TO UPDATE THE EFFECTIVE DATE OF THE FLOOD INSURANCE RATE MAPS; AMENDING SECTION 652.705 (HISTORIC BUILDINGS), PART 7 (VARIANCES AND APPEALS), CHAPTER 652 (FLOODPLAIN MANAGEMENT), ORDINANCE CODE, TO UPDATE THE CHAPTER OF THE BUILDING CODE; CREATING A NEW SECTION 652.709 (CERTAIN NON-ELEVATED ACCESSORY STRUCTURES), PART 7 (VARIANCES AND APPEALS), CHAPTER 652 (FLOODPLAIN MANAGEMENT), ORDINANCE CODE, TO ADDRESS VARIANCES FOR CERTAIN NON-ELEVATED ACCESSORY STRUCTURES IN A SPECIAL FLOOD HAZARD AREA (“SFHA”); AMENDING SECTION 652.900 (GENERAL), PART 9 (DEFINITIONS), CHAPTER 652 (FLOODPLAIN MANAGEMENT), ORDINANCE CODE, TO DELETE A REFERENCE TO SECTION 652.900 (GENERAL), ADD AND REVISE DEFINITIONS, AND INCORPORATE THE LOCAL TECHINICAL AMENDMENTS MADE TO THE DEFINITIONS OF “SUBSTANTIAL DAMAGE” AND “SUBSTANTIAL IMPROVEMENT”; AMENDING SECTION 652.1001 (BUILDINGS AND STRUCTURES), PART 10 (FLOOD RESISTANT DEVELOPMENT), CHAPTER 652 (FLOODPLAIN MANAGEMENT), ORDINANCE CODE, TO INCREASE THE FINISHED FLOOR ELEVATION REQUIREMENT IN FLOOD AREAS; REPEALING SECTION 652.1100 (SUBDIVISIONS), SECTION 652.1200 (SITE IMPROVEMENTS, UTILITIES AND LIMITATIONS), SECTION 652.1300 (MANUFACTURED HOMES), SECTION 652.1400 (RECREATIONAL VEHICLES AND PARK TRAILERS), SECTION 652.1500 (TANKS), AND SECTION 1600 (OTHER DEVELOPMENT), PART 10 (FLOOD RESISTANT DEVELOPMENT), CHAPTER 652 (FLOODPLAIN MANAGEMENT), ORDINANCE CODE, IN THEIR ENTIETY; CREATING NEW PARTS TO CHAPTER 652 (FLOODPLAIN MANAGEMENT), ORDINANCE CODE, SPECIFICALLY: PART 11 (FLOOD RESISTANT DEVELOPMENT – SUBDIVISIONS), PART 12 (FLOOD RESISTANT DEVELOPMENT – SITE IMPROVEMENTS, UTILITIES AND LIMITATIONS), PART 13 (FLOOD RESISTANT DEVELOPMENT – MANUFACTURED HOMES), PART 14 (FLOOD RESISTANT DEVELOPMENT – RECREATIONAL VEHICLES AND PARK TRAILERS), PART 15 (FLOOD RESISTANT DEVELOPMENT – TANKS) AND PART 16 (FLOOD RESISTANT DEVELOPMENT – OTHER DEVELOPMENT), TO MAINTAIN CONSISTENCY IN FORMATTING, INCORPORATE THE CHANGES REQUIRED BY THE STATE OFFICE OF FLOODPLAIN MANAGEMENT, INCREASE THE FINISHED FLOOR ELEVATION REQUIREMENT IN FLOOD AREAS AND REVISE THE INFORMATION TO BE REQUIRED ON THE PLAT OF A SUBDIVISION IN FLOOD AREAS; AMENDING SECTION

654.126 (DESIGN STANDARDS: LOTS), CHAPTER 654 (CODE OF SUBDIVISION REGULATIONS), ORDINANCE CODE, TO INCORPORATE CERTAIN ELEVATION REQUIREMENTS PREVIOUSLY ESTABLISHED BY THE COUNCIL THROUGH A LOCAL TECHNICAL AMENDMENT TO THE FLORIDA BUILDING CODE; PROVIDING FOR APPLICABILITY; PROVIDING FOR SEVERABILITY; PROVIDING FOR CODIFICATION INSTRUCTIONS; PROVIDING AN EFFECTIVE DATE. 2023-617

A ORDINANCE CONFIRMING THE APPOINTMENT OF DR. LANTIE ELISABETH JORANDBY, AS A MEMBER OF THE OPIOID AND SUBSTANCE USE DISORDER GRANTS COMMITTEE, AS A HEALTHCARE PROFESSIONAL REPRESENTATIVE, PURSUANT TO SECTION 84.202 (COMPOSITION; CITY COUNCIL LIAISON; TERMS; REMOVAL), PART 2 (OPIOID AND SUBSTANCE USE DISORDER GRANTS COMMITTEE), CHAPTER 84 (OPIOID SETTLEMENT PROCEEDS GRANTS), ORDINANCE CODE, FOR A FIRST FULL TERM ENDING ON JUNE 30, 2025; ESTABLISHING SUBSTANTIAL BUSINESS INTEREST IN DUVAL COUNTY, PURSUANT TO SECTION 50.102(B) (RESIDENCY REQUIREMENT) (MEMBERS OF BOARDS AND COMMISSIONS), PART 1 (ORGANIZATION) CHAPTER 50 (ORGANIZATION OF BOARDS AND COMMISSIONS), ORDINANCE CODE; WAIVING COUNCIL RULE 4.1101 (APPEARANCE BEFORE COMMITTEE), COUNCIL RULES, REQUIREMENT THAT THE APPOINTEE PRIOR TO CONFIRMATION APPEAR BEFORE THE COMMITTEE TO WHICH CONSIDERATION OF THE APPOINTMENT HAS BEEN REFERRED; REQUESTING ONE-CYCLE EMERGENCY PASSAGE; PROVIDING AN EFFECTIVE DATE. 2023-618 AN ORDINANCE AUTHORIZING AND APPROVING: (1) AN AMENDMENT TWO TO THE ECONOMIC DEVELOPMENT AGREEMENT BETWEEN THE CITY OF JACKSONVILLE (“CITY”) AND LIQUIDPROOF, LLC (“COMPANY”), (2) A MORTGAGE MODIFICATION AGREEMENT BETWEEN THE CITY AND COMPANY, AND (3) AN AMENDED AND RESTATED PROMISSORY NOTE BETWEEN COMPANY AND THE CITY, FOR THE PURPOSE OF EXTENDING THE MATURITY DATE OF THE LOAN FROM JUNE 1, 2023 TO JUNE 1, 2033, AND REAMORTIZING THE REMAINING BALANCE OF THE LOAN AT THE CURRENT INTEREST RATE THROUGH THE EXTENDED LOAN TERM, THE ORIGINAL LOAN HAVING BEEN AUTHORIZED BY ORDINANCE 2017448-E; AUTHORIZING SUCH OTHER CLOSING DOCUMENTS AND TECHNICAL CHANGES AS MAY BE REQUIRED BY THE GENERAL COUNSEL, OR HIS OR HER DESIGNEE, AND THE MAYOR’S OFFICE, PROVIDED THAT THE CITY’S COSTS ARE NOT INCREASED; PROVIDING FOR CITY OVERSIGHT BY THE OFFICE OF ECONOMIC DEVELOPMENT; PROVIDING AN EFFECTIVE DATE. 2023-619

AN ORDINANCE AMENDING THE JEA FISCAL YEAR 2022 2023 BUDGET; AMENDING ORDINANCE 2022-504E (THE CITY OF JACKSONVILLE BUDGET ORDINANCE) BY AMENDING SCHEDULE D (JEA CONSOLIDATED CAPITAL BUDGET) TO INCREASE THE DISTRICT ENERGY SYSTEM CAPITAL BUDGET APPROVED FOR FISCAL YEAR 2022 2023; PROVIDING AN EFFECTIVE DATE. 2023-620

AN ORDINANCE TRANSFERRING $900.00 FROM OTHER OPERATING SUPPLIES TO FOOD TO PROVIDE FOOD SERVICE RELATED TO MANDATORY IN-SERVICE TRAINING FOR THE PARKS, RECREATION, AND COMMUNITY SERVICES DEPARTMENT, AS INITIATED BY B.T. 23 114; PURPOSE OF APPROPRIATION; PROVIDING AN EFFECTIVE DATE. 2023-621 AN ORDINANCE AUTHORIZING THE MAYOR, OR HER DESIGNEE, AND CORPORATION SECRETARY TO EXECUTE AND DELIVER, FOR AND ON BEHALF OF THE CITY, AN AMENDMENT TWO TO REDE-

VELOPMENT AGREEMENT

BY AND AMONG THE CITY, DOWNTOWN INVESTMENT AUTHORITY, FUQUA BCDC ONE RIVERSIDE PROJECT OWNER, LLC (“DEVELOPER”), ASSIGNEE OF FUQUA ACQUISITIONS II, LLC, AND TBR ONE RIVERSIDE OWNER, LLC, AS PARTIAL ASSIGNEE OF DEVELOPER, AMENDING THE REDEVELOPMENT AGREEMENT DATED DECEMBER 20, 2021 PREVIOUSLY AUTHORIZED BY ORDINANCE 2021-796-E, AS PREVIOUSLY AMENDED BY AMENDMENT ONE TO REDEVELOPMENT AGREEMENT DATED OCTOBER 12, 2022, AS AUTHORIZED BY ORDINANCE 2022-493-E, (COLLECTIVELY, THE “AGREEMENT”), TO MODIFY THE PERFORMANCE SCHEDULE AND ASSOCIATED TERMS OF THE AGREEMENT; AUTHORIZING THE EXECUTION OF ALL DOCUMENTS RELATING TO THE ABOVE AGREEMENTS AND TRANSACTIONS, AND AUTHORIZING TECHNICAL CHANGES TO THE DOCUMENTS; PROVIDING AN EFFECTIVE DATE.

2023-622 AN ORDINANCE MAKING CERTAIN FINDINGS AND AUTHORIZING THE MAYOR, OR HER DESIGNEE, TO EXECUTE: (1) AN AMENDED AND RESTATED REDEVELOPMENT AGREEMENT (“AMENDED RDA”); AND (2) AN AMENDED AND RESTATED CRA INFRASTRUCTURE IMPROVEMENTS COSTS DISBURSEMENT AGREEMENT (“DISBURSEMENT AGREEMENT”), AMONG THE CITY OF JACKSONVILLE, ELEMENTS DEVELOPMENT OF JACKSONVILLE, LLC AND THE DISTRICT COMMUNITY DEVELOPMENT DISTRICT TO EXPAND THE SIZE OF THE PROJECT PARCEL BY APPROXIMATELY 1.2 ACRES, AND AUTHORIZE CERTAIN ADDITIONAL PROPERTY TO BE ADDED TO THE PROJECT PARCEL IF LATER ACQUIRED BY THE DEVELOPER, INCREASE THE NUMBER OF RESIDENTIAL UNITS BY APPROXIMATELY 220 UNITS, INCREASE THE NUMBER OF HOTEL ROOMS BY APPROXIMATELY 53, REDUCE THE AMOUNT OF RETAIL SPACE BY APPROXIMATELY 13,200 SQUARE FEET, INCREASE THE MAXIMUM AMOUNT OF THE REV GRANT FROM $56,025,000 TO $97,986,000 AS A RESULT OF INCREASED COSTS DUE TO MARKET CONDITIONS, CLARIFY LOCATION OF DEDICATED PUBLIC PARKING SPACES, CLARIFY AND EXTEND CERTAIN DATES WITHIN THE PERFORMANCE SCHEDULE, WITH COMPLETION OF THE CRA INFRASTRUCTURE IMPROVEMENTS BY DECEMBER 31, 2024, AND TO MAKE ALL OTHER NECESSARY CHANGES TO THE RDA, INTERLOCAL AGREEMENT, DISBURSEMENT AGREEMENT AND RELATED DOCUMENTS TO EFFECTUATE THE FOREGOING CHANGES, WITH ALL OTHER TERMS AND CONDITIONS REMAINING UNCHANGED; AUTHORIZING THE EXECUTION OF ALL DOCUMENTS RELATING TO THE ABOVE AGREEMENTS AND TRANSACTIONS, AND AUTHORIZING TECHNICAL CHANGES TO THE DOCUMENTS; AUTHORIZING AN INCREASE OF $41,961,000 TO THE $56,025,000 RECAPTURE ENHANCED VALUE (REV) GRANT PREVIOUSLY AUTHORIZED BY ORDINANCE 2018313-E; PROVIDING AN EFFECTIVE DATE. A COPY OF THE PROPOSED ORDINANCES MAY BE EXAMINED IN THE OFFICE OF LEGISLATIVE SERVICES DIVISION OF THE CITY COUNCIL, SUITE 430, CITY HALL, ON WEEKDAYS BETWEEN THE HOURS OF 8:00 A.M. AND 5:00 P.M ALL PERSONS INTERESTED ARE NOTIFIED TO BE PRESENT AT SAID TIME AND PLACE, AND THEY MAY BE HEARD WITH RESPECT TO THE PROPOSED ORDINANCES.

DATED THIS 14TH DAY OF SEPTEMBER, A.D. 2023. COUNCIL OF THE CITY OF JACKSONVILLE

DUVAL COUNTY

FIRST INSERTION

PUBLIC NOTICE OF SALE Beaver Street Storage 8990 W Beaver St. Jacksonville, FL 32220. Sale date Oct 4, 2023 at 1:30 or later. Notice is given that the undersigned intends to sell the personal property described below to enforce a lien imposed on said property under F.A.S. 83.802.83.809 Unit 56. Thomas Gill Unit 75 David Beard Unit 77 Tiffany Hall Sep. 14/21 00 (23-06242D)

FIRST INSERTION

PUBLIC NOTICE

The Jacksonville Transportation Authority will require a supplier to provide services for ITB No. 23-012 ADA Bus Stop Improvements. All interested may contact the Jacksonville Transportation Authority, Procurement Department, 100 LaVilla Center Drive, Jacksonville, Florida 32204 or email procurement@jtafla.com

To obtain a copy of the Solicitation visit https://jtafla.bonfirehub. com/portal/?tab=openOpportunities Deadline for questions regarding the plans and/or specifications is 12:00 P.M., September 26, 2023. Questions must be submitted in writing on the JTA Bonfire Procurement Portal

The Jacksonville Transportation Authority is an Equal Opportunity Employer and encourages expressions of interest for the described services from Disadvantaged Business Enterprises. Bids must be uploaded to the JTA Bonfire Procurement Portal no later than 10:00 A.M., October 13, 2023 Sep. 14 00 (23-06237D)

FIRST INSERTION IN THE CIRCUIT COURT FOR DUVAL COUNTY, FLORIDA PROBATE DIVISION File No. 16-2023-CP-002503 Division PR-B IN RE: ESTATE OF WILLIAM EDGAR ALLEN Deceased.

NOTICE TO CREDITORS

The administration of the estate of William Edgar Allen, deceased, whose date of death was July 23, 2023, is pending in the Circuit Court for Duval County, Florida, Probate Division, the address of which is Duval County Clerk of Courts Attn: PROBATE DEPARTMENT 501 West Adams Street, Room 1173, Jacksonville, FL 32202. The names and addresses of the petitioner and the petitioner’s attorney are set forth below.

All creditors of the decedent and other persons having claims or demands against decedent’s estate on whom a copy of this notice is required to be served must file their claims with this court ON OR BEFORE THE LATER OF 3 MONTHS AFTER THE TIME OF THE FIRST PUBLICATION OF THIS NOTICE OR 30 DAYS AFTER THE DATE OF SERVICE OF A COPY OF THIS NOTICE ON THEM.

All other creditors of the decedent and other persons having claims or demands against decedent’s estate must file their claims with this court WITHIN 3 MONTHS AFTER THE DATE OF THE FIRST PUBLICATION OF THIS NOTICE. ALL CLAIMS NOT FILED WITHIN THE TIME PERIODS SET FORTH IN FLORIDA STATUTES SECTION 733.702 WILL BE FOREVER BARRED. NOTWITHSTANDING THE TIME PERIODS SET FORTH ABOVE, ANY CLAIM FILED TWO (2) YEARS OR MORE AFTER THE DECEDENT’S DATE OF DEATH IS BARRED. The date of first publication of this notice is September 14, 2023.

Petitioner: Allen R. Bellinger 1809 Ballybunion Drive Johns Creek, Georgia 30097 Attorney for Petitioner: Ryan Scott Attorney Florida Bar Number: 1044898 Owenby Law, P.A. 6136 Atlantic Avenue Jacksonville, Florida 32211 Telephone: (904) 359-5115 Fax: (904) 375-8704

12B THURSDAY, SEPTEMBER 14, 2023 JACKSONVILLE DAILY RECORD
E-Mail: ryan@owenbylawfirm.com Secondary E-Mail: service@owenbylawfirm.com Sep. 14/21 00 (23-06239D)
FIRST INSERTION
CODE
ACCOM-
(ELEVATION REQUIREMENTS), CHAPTER
THE FLORIDA BUILDING
PREVIOUSLY
PLISHED IN SECTION 321.109
321 (ADOP-
ATTEST: MARGARET M. SIDMAN COUNCIL SECRETARY Sep. 14 00
Check out our website! JaxDailyRecord.com
(23-06235D)

FIRST INSERTION

IN THE CIRCUIT COURT FOR DUVAL COUNTY, FLORIDA PROBATE DIVISION

File No. 16-2023-CP-002312

Division PR-A

IN RE: ESTATE OF SHELLEY B. FISHMAN, Deceased.

NOTICE TO CREDITORS

The administration of the estate of Shelley B. Fishman, deceased, whose date of death was May 13, 2023, is pending in the Circuit Court for DUVAL County, Florida, Probate Division, the address of which is 501 West Adams Street, Room 1173, Jacksonville, FL 32202. The names and addresses of the personal representative and the personal representative’s attorney are set forth below.

All creditors of the decedent and other persons having claims or demands against decedent’s estate on whom a copy of this notice is required to be served must file their claims with this court ON OR BEFORE THE LATER OF 3 MONTHS AFTER THE TIME OF THE FIRST PUBLICATION OF THIS NOTICE OR 30 DAYS

AFTER THE DATE OF SERVICE OF A COPY OF THIS NOTICE ON THEM.

All other creditors of the decedent and other persons having claims or demands against decedent’s estate must file their claims with this court WITHIN 3 MONTHS AFTER THE DATE OF THE FIRST PUBLICATION OF THIS NOTICE.

ALL CLAIMS NOT FILED WITHIN THE TIME PERIODS SET FORTH IN FLORIDA STATUTES SECTION 733.702 WILL BE FOREVER BARRED.

NOTWITHSTANDING THE TIME PERIODS SET FORTH ABOVE, ANY CLAIM FILED TWO (2) YEARS OR MORE AFTER THE DECEDENT’S DATE OF DEATH IS BARRED.

The date of first publication of this notice is September 14, 2023.

Personal Representative:

Ross H. Fishman 225 Pablo Road

Ponte Vedra Beach, Florida 32082

Attorney for Personal Representative:

Michael S. Gross, Esq. Florida Bar Number: 0067660 COZEN O’CONNOR

1801 N Military Trail, Suite 200 Boca Raton, Florida 33431

Telephone: (561) 750-3850

Fax: (561) 245-6200

E-Mail: mgross@cozen.com

Secondary E-Mail: maiello@cozen.com Sep. 14/21 00 (23-06236D)

FIRST INSERTION IN THE CIRCUIT COURT FOR DUVAL COUNTY, FLORIDA File No. 16-2023-CP-002416 Division PR-A IN RE: ESTATE OF NANCY ANN SKOLA Deceased.

NOTICE TO CREDITORS

The administration of the estate of Nancy Ann Skola, deceased, whose date of death was July 29, 2023, is pending in the Circuit Court for Duval County, Florida, Probate Division, the address of which is 501 W. Adams Street, Jacksonville, Florida 32202. The names and addresses of the personal representative and the personal representative’s attorney are set forth below.

All creditors of the decedent and other persons having claims or demands against decedent’s estate on whom a copy of this notice is required to be served must file their claims with this court WITHIN THE LATER OF

3 MONTHS AFTER THE TIME OF THE FIRST PUBLICATION OF THIS NOTICE OR 30 DAYS AFTER THE DATE OF SERVICE OF A COPY OF THIS NOTICE ON THEM.

All other creditors of the decedent and other persons having claims or demands against decedent’s estate must file their claims with this court WITHIN

3 MONTHS AFTER THE DATE OF THE FIRST PUBLICATION OF THIS NOTICE.

ALL CLAIMS NOT FILED WITHIN THE TIME PERIODS SET FORTH IN SECTION 733.702 OF THE FLORIDA PROBATE CODE WILL BE FOREVER BARRED. NOTWITHSTANDING THE TIME PERIODS SET FORTH ABOVE, ANY CLAIM FILED

TWO (2) YEARS OR MORE AFTER THE DECEDENT’S DATE OF DEATH IS BARRED.

The date of first publication of this notice is September 14, 2023.

FIRST INSERTION

IN THE CIRCUIT COURT OF THE FOURTH JUDICIAL CIRCUIT IN AND FOR DUVAL COUNTY, FLORIDA CIVIL ACTION

CASE NO.: 16-2023-CA-000010

DIVISION: FC-B

NATIONSTAR MORTGAGE

LLC, Plaintiff, vs. OZELL J. SMALL AKA OZELL SMALL, et al, Defendant(s).

NOTICE OF SALE

PURSUANT TO CHAPTER 45

NOTICE IS HEREBY GIVEN

Pursuant to a Final Judgment of Foreclosure dated August 25, 2023, and entered in Case No. 16-2023-CA-000010 of the Circuit Court of the Fourth Judicial Circuit in and for Duval County, Florida in which Nationstar Mortgage LLC, is the Plaintiff and Ozell J. Small aka Ozell Small; United States of America, Department of Treasury; are defendants, the Duval County Clerk of the Circuit Court will sell to the highest and best bidder for cash in/on Duval County’s Public Auction website: www.duval.realforeclose.com

Duval County, Florida at 11:00AM on the 9th day of October, 2023 the following described property as set forth in said Final Judgment of Foreclosure:

LOT 6, BLOCK 1, LINCOLN ESTATES, UNIT 6, AS PER PLAT THEREOF, RECORDED IN PLAT BOOK 33, PAGE(S) 29 AND 29A, OF THE PUBLIC RECORDS OF

DUVAL COUNTY, FLORIDA.

A/K/A 5055 DOSTIE DR S

JACKSONVILLE FL 32209

Any person claiming an interest in the surplus from the sale, if any, other than the property owner as of the date of the Lis Pendens must file a claim before the Clerk reports the surplus as unclaimed.

Americans With Disabilities Act

(ADA) Notice

In accordance with the Americans with Disabilities Act of 1990 (ADA),

If you are a person with a disability who needs any accommodation in order to participate in this proceeding, you are entitled at no cost to you, to the provision of certain assistance. Please contact the ADA Coordinator at crtintrp@coj.net or (904) 2551695 at least 7 days before your scheduled court appearance, or immediately upon receiving this notification if the time before the scheduled appearance is less than 7 days; if you are hearing or voice impaired, call 711.

Dated in Duval County, Florida this 12th day of September, 2023.

JODY PHILLIPS Clerk of the Circuit Court Duval County, Florida

By: Brittany Weimer Deputy Clerk (Court Seal) Albertelli Law Attorney for Plaintiff P.O. Box 23028 Tampa, FL 33623 (813) 221-4743 (813) 221-9171 facsimile eService: servealaw@albertellilaw.com CT- 22-010975 Sep. 14/21 00 (23-06232D)

FIRST INSERTION

Establishing a Temporary Point of Compliance for Salisbury Road Landfill

FIRST INSERTION

IN THE COUNTY COURT, FOURTH JUDICIAL CIRCUIT IN AND FOR DUVAL COUNTY , FLORIDA CASE NO.: 16-2023-CC-005079

DIVISION: CC-I

ST. IVES OF JACKSONVILLE HOMEOWNERS ASSOCIATION, INC., a Florida not-forprofit corporation, Plaintiff, v. OLATOKUNBO O. AROWORA, et al., Defendant(s).

NOTICE OF ACTION

TO: OLATOKUNBO O. AROWORA UNKNOWN SPOUSE OF OLATOKUNBO O. AROWORA UNKNOWN TENANT #1 UNKNOWN TENANT #2

Last Known Address: 7026 Saint Ives Court Jacksonville, FL 32244 YOU ARE NOTIFIED that an action to foreclose a Claim of Lien on property in Duval County, Florida: Lot 47, St. Ives, according to the map or plat thereof, as recorded in Plat Book 64, Page(s) 30 through 32, inclusive, of the Public Records of

NOTICE OF COMPILATION

AND ENTRY OF NUISANCE ABATEMENT AND DEMOLITION LIENS

NOTICE IS HEREBY

GIVEN THAT THE CITY OF JACKSONVILLE HAS CUT WEEDS, GRASS AND UNDERBRUSH OR DEMOLISHED UNSAFE STRUCTURES AT VARIOUS LOCATIONS THROUGHOUT THE CITY, PURSUANT TO MUNICIPAL ORDINANCE CODE 518 THESE LIENS HAVE BEEN ENTERED INTO THE LIEN RECORDS AND ARE AS

FOLLOWS:

NBDL23002192 ADAMS

WAYNE E 39-1S-26E PICKETTS

Duval County, Florida.

Parcel Identification Number: 015910-2820

Property Address: 7026

Saint Ives Court, Jacksonville, FL 32244 has been filed against you and you are required to serve written defenses, if any, to it on Plaintiff’s attorney, McCabe & Ronsman, whose address is 110 Solana Road, Suite 102, Ponte Vedra Beach, Florida, 32082; Telephone No. (904) 396-0090, within 30 days of first publication, and file the original with the Clerk of this Court either before service on Plaintiff’s attorney or immediately thereafter; otherwise a default will be entered against you for the relief demanded in the complaint or petition.

DATED this 11th day of September, 2023. JODY PHILLIPS Clerk of the Court

By: Brittany Weimer As Deputy Clerk (Court Seal) McCabe & Ronsman 110 Solana Road, Suite 102 Ponte Vedra Beach, FL 32082 service@flcalegal.com Sep. 14/21 00 (23-06211D)

FIRST INSERTION

NOTICE OF AGENCY ACTION TAKEN BY THE ST. JOHNS RIVER WATER MANAGEMENT DISTRICT

Notice is given that the following permit was issued on September 8, 2023:

Seefried Industrial Properties, Inc., 33333 Riverwood Pkwy SE, Ste 200, Atlanta, GA 30339-6411, permit #102299-3. The project is located in Duval County, Section 33, Township 1 North, Range 26 East. The permit authorizes construction and operation of a Stormwater Management System for a 43.6 – acre project known as Lem Turner Business Park as per plans received by the District on August 21, 2023. The receiving water body is Broward River, III

Fresh,. A person whose substantial interests are or may be affected has the right to request an administrative hearing by filing a written petition with the St. Johns River Water Management District (District). Pursuant to Chapter 28-106 and Rule 40C-1.1007, Florida Administrative Code (F.A.C.), the petition must be filed (received) either by delivery at the office of the District Clerk at District Headquarters, P.O. Box 1429, Palatka FL 32178-1429 (4049 Reid St, Palatka, FL 32177) or by e-mail with the District Clerk at Clerk@ sjrwmd.com, within twenty-one (21) days of newspaper publication of the notice of District decision (for those per-sons to whom the District does not mail or email actual notice). A petition must comply with Sections120.54(5) (b)4. and 120.569(2)(c),Florida Statutes (F.S.), and Chapter 28-106, F.A.C. The District will not accept a petition sent by facsimile (fax). Mediation pursuant to Section 120.573, F.S., may be available and choosing mediation does not affect your right to an administrative hearing.

A petition for an administrative hearing is deemed filed upon receipt of the complete petition by the District Clerk at the District Headquarters in Palatka, Florida during the District’s regular busi-

ness hours. The District’s regular business hours are 8 a.m. – 5 p.m., excluding weekends and District holidays. Petitions received by the District Clerk after the District’s regular business hours shall be deemed filed as of 8 a.m. on the District’s next regular business day. The District’s acceptance of petitions filed by e-mail is subject to certain conditions set forth in the District’s Statement of Agency Organization and Operation (issued pursuant to Rule 28-101.001, Florida Administrative Code), which is available for viewing at floridaswater.com. These conditions include, but are not limited to, the petition being in the form of a PDF or TIFF file and being capable of being stored and printed by the District. Further, pursuant to the District’s Statement of Agency Organization and Operation, attempting to file a petition by facsimile (fax) is prohibited and shall not constitute filing. The right to an administrative hearing and the relevant procedures to be followed are governed by Chapter 120, Florida Statutes, Chapter28-106, Florida Administrative Code, and Rule 40C1.1007, Florida Administrative Code. Because the administrative hearing process is designed to formulate final agency action, the filing of a petition means the District’s final action may be different from the position taken by it in this notice. Failure to file a petition for an administrative hearing within the requisite time frame shall constitute a waiver of the right to an administrative hearing. (Rule 28-106.111,F.A.C.).If you wish to do so, please visithttp:// floridaswater.com/nor_dec/ to read the complete Notice of Rights to determine any legal rights you may have concerning the District’s decision(s) on the permit application(s) described above. You can also request the Notice of Rights by contacting the Director of Regula-tory Support, 4049 Reid St., Palatka, FL 32177-2529, tele. no.(386)329-4570. Sep. 14 00 (23-06238D)

Firststar Development Inc. (PRSR) proposes to establish a Temporary Point of Compliance (TPOC) beyond the property boundary of the source for benzene, chlorobenzene, 1,4-dichlorobenzene, xylene and arsenic in groundwater from operations at the former Salisbury Road Landfill located at 7407 Salisbury Road, Jacksonville, FL 32256 (Facility ID No. ERIC_14462). A TPOC will be established on property located at 7800, 7900 and 8000 Belfort Parkway at the known limit of the contamination at the time that the Florida Department of Environmental Protection (FDEP) approves the remedial strategy for the contaminated site. Based on the Combined Document – Site Assessment Report and Remedial Action Plan Addendum dated August 8, 2023, submitted by Dominion, Inc., and other file information available to FDEP, it has been determined that active remediation is the best strategy for the rehabilitation of this site, and it requires the establishment of a TPOC beyond the facility property boundary.

Prior to the FDEP authorizing a temporary extension of the point of compliance beyond the boundary of the source property with a Remedial Action Plan Approval Order pursuant to Rule 62-780.700, F.A.C., the PRSR must demonstrate compliance with the notice and opportunity-to-comment requirements of subsection 62-780.220(3) F.A.C.

If FDEP determines, after the review of the information utilized to select the TPOC, that human health, public safety and the environment are adequately protected, FDEP may authorize the establishment of a TPOC as part of the Remedial Action Plan Approval Order (Order) for this site. When the Order is approved, it will additionally require continued monitoring of the contamination to ensure that this protection is maintained during the course of site rehabilitation.

Written comments on FDEP’s proposed action (i.e., TPOC approval) should be sent to Brian Durden at 8800 Baymeadows Way West, Suite 100, Jacksonville, FL 32256 or brian.durden@floridadep.gov within 30 days of publication of this notice. Sep. 14 00 (23-06240D)

S/D SIBBALD GRANT PT LOT 23 RECD O/R BK 4215-92 O/R BKS 6471-1536,1537 $11443.16 NBDL23002193 ILIC MARIA

6 $4212.93

NBNL23002160 ST JOHNS

RIVER TERMINAL CO 55-2S-

26E 21.961 SIBBALD GRANT

PT RECD D BKS 11-210, 13-336

BEING PARCEL 7, O/R 1796-

350, BEING AND INCLUDING

ALL CENTALLY ASSESSED RR

PROPERTY $3244.33

NBNL23002161 HOLMES

JILL P ESTATE 31-100 54-1S-

27E UNIVERSITY PARK UNIT NO 6A LOT 35 $6963.57

NBNL23002162 GOODONYA LAND TRUST ET AL 03-2S-

26E EAST GRAND PARK LOT

15 BLK 14 O/R BKS 3001-1157, 6938-1389 $2252.33

NBNL23002163 LAND TRUST

NO 51825S 8-28 55-2S-26E

BLK 10 HOWELL, JENKS & WARD S/D & SPRINGFIELD NW PORTION E 40FT LOT 14

$9251.33

NBNL23002164 MC GROUP LLC 3-32 55-2S-26E SPEEDWAY PARK LOT 8 BLK 19 $2252.33

NBNL23002165 STAFFORD

AURELIUS D 36-1S-26E

BRENTWOOD PT LOT 1 RECD

O/R BK 5939-296 BLK 1 $639.35

NBNL23002166 ABPL INC

24-79 55-2S-26E .546 GOLFAIR

MANOR UNIT 1 PT TRACT A RECD O/R 16926-1677 $1491.08

NBNL23002167 WILLIAMS

CAROLYN ELAINE 18-40 39-1S-

26E .132 LEWIS HIGHLANDS S/D LOT 29 BLK 3 $2252.33

NBNL23002168 PRIM JOYCE ET AL 6-16 39-1S-26E LE

GORDA INVESTMENT COS

R/P LOT 38 RUTLEDGES S/D LOT 20 PICKETTS S/D LOTS

11,12 $631.42

NBNL23002169 MORTON

KATHERINE F 20-2S-26E

MURRAY HILL HEIGHTS E 40FT

THURSDAY, SEPTEMBER 14, 2023 13B JACKSONVILLE DAILY RECORD PUBLIC NOTICES DUVAL COUNTY
1-46
S/D
O/R
NBDL23002194 MARIETTA ENTERPRISES LLC 11-50 10-2S26E
10,(EX
11,12
11
NBDL23002195 MARIETTA ENTERPRISES
11-50 10-2S26E
10,(EX
11,12
11
NBNL23002158
SALLY
EDMONDSONS
PT
110,111
NBNL23002159
ESTATE 18-17 39-1S-26E
ROYAL
29
02-2S-26E .236 ADAMS
LOTS 3,4,PT LOT 5 RECD
11034-144 BLK 3 $14367.45
.24 LINCOLN PLACE LOT
PT R/W)LOTS
BLK
$21697.85
LLC
.24 LINCOLN PLACE LOT
PT R/W)LOTS
BLK
$795.00
SHOTWELL
N ET AL 20-2S-26E
PINEDALE S/D
BLK 71 EDGEWOOD LOTS
$10242.33
SIMS SAM
.138
TERRACE ADDN 1 LOT
BLK
LOTS 23,24 BLK 39 O/R BK 5154-41 $401.66 NBNL23002170 COWFORD HOLDINGS LLC 1-33 23-2S-25E .377 MARIETTA LOTS 13,14,15 BLK 101 $1010.34 NBNL23002171 SCHWARTZ CHARLOTTE TRACT 16 LLC ET AL 4-85 55-2S-26E 2.00 STEVENS S/D PT LOTS 36,37 RECD O/R 20364-1024 $1423.81 NBNL23002172 TRISTAR INVESCO INC 2-53 39-1S-26E .919 KINGS S/D PT LOTS 5,6 RECD O/R 15399-639 $1323.66 NBNL23002173 HALL TONY R 9-10 41-1N-26E 1.43 WILLIAM OGILVIE ESTATE S/D PT LOTS 9,10 RECD O/R 17184-2358 $2546.89 NBNL23002174 BCEL 8D LLC 51-2S-27E .29 MATTIE SKINNER S/D PT W1/2 LOT 8 RECD O/R 1016-592 (EX PT IN EXPRESSWAY)PT LOT 9 RECD O/R 20491-131 $1952.33 NBNL23002175 BUTLER BEULAH MAE ET AL 5-98 19-1S-26E LINCOLN VILLAS LOT 11 BLK 5 $1195.33 NBNL23002176 OTTAWA ENERGY LLC 3-39 16-2S26E WOODSTOCK E 13FT OF S 68FT LOT 12, S 69FT OF THE UNNUMBERED LOT E, THEREOF BLK 6 $3937.33 NBNL23002177 REID CONSTRUCTION INC 55-2S26E .730 SIBBALD GRANT PT RECD O/R 15661-1944 (THERE ARE OR MAY BE HAZARDOUS SUBSTANCES ON THE PROPERTY FOR MORE INFORMATION PLEASE CALL 904-630-CITY) $1833.43 NBNL23002178 GARFINKEL CHARLOTTE H ET AL 06-1S26E 1.97 DINSMORE FARMS PT FARMS 2,3 RECD O/R 194241861 $3604.33 NBNL23002179 ADONIS NESLY 12-9 082S-26E BILTMORE LOTS 13,14,15,16(EX E 40.4FT) BLK 43 $701.55 NBNL23002180 VICTORY VISION INC 53-87 31-1N-26E 1.63 ANGEL LAKES PHASE I UNNUMBERED TRACT LYING E OF V C JOHNSON RD(EX PT RECD O/R 11615-1283 BEING PARCEL 2) $3161.72 NBNL23002181 ESTATE WEALTH MANAGEMENT CORP LLC 2-21 07-2S-27E .08 CAMPBELLS ADDN TO JAX N 29FT LOT 3 BLK 13 $4437.33 NBNL23002182 NOLAN THOMAS D 13-1S-26E .852 PT W1/2 OF SE1/4 RECD O/R 19679-1736 $1601.11 NBNL23002183 VICTORY VISION INC 55-5 31-1N-26E .50 ANGEL LAKES PHASE 2 TRACT A $1277.63 NBNL23002184 BUTLER THERESIA K 4-1 10-2S-26E COLLEGE PARK LOT 2 BLK 12 $278.59 NBNL23002185 ROGERS ROBERT E JR 3-51 10-3S25E .286 JACKSONVILLE HEIGHTS TOWNSITE LOTS 15,16,PT CLOSED ALLEY BLK 1 $10101.33 NBNL23002186 CONYERS SELMA M ET AL 27-2S-26E JAMES S/D RIVERSIDE LOT 1,NW 43FT LOT 10 BLK 6 O/R BK 6341-2275 $877.33 NBNL23002187 SUMNER MICHAEL 6-29 46-1S-27E .09 ROBERTS S/D LOT 14 BLK 8 $8617.33 NBNL23002188 ACE JAX LLC 39-2S-26E .123 JAX HARTS MAP N1/2 LOT 6 BLK 58 $437.33 NBNL23002189 ALSTON MINNIE B 22-016 39-1S-26E LAKE FOREST HILLS UNIT 2 LOT 7 BLOCK 18 O/R BK 3572812 $1867.33 NBNL23002190 BRANSON JENNA BRANDELL 2-69 01-2S-26E NEW SPRINGFIELD E 32 1/2FT LOTS 3,4 BLK 20 $2616.33 NBNL23002191 ARICI GULPERI 2-21 07-2S-27E CAMPBELLS ADDN TO JAX W 57FT LOT 26 BLK 5 $382.33 MAYOR DONNA DEEGAN Sep. 14 00 (23-06228D) FIRST INSERTION
Personal Representative: Judith M. Kovach 16549 North White Oaks Drive Strongsville, Ohio 44186 Attorney for Personal Representative: James Adam Owens Attorney for Personal Representative Florida Bar Number: 70199 Senior Counsel Attorneys at Law, PA 2318 Park Street Jacksonville, FL 32204 Telephone: (904) 619 8890 Fax: (904) 683 8250 Sep. 14/21 00 (23-06241D)

FIRST INSERTION

IN THE CIRCUIT COURT FOR DUVAL COUNTY, FLORIDA PROBATE DIVISION

File No. 16-2023-CP-002448 Division PR-A

IN RE: ESTATE OF LINDA G. ALLPHIN

Deceased. NOTICE TO CREDITORS

The administration of the estate of Linda G. Allphin, deceased, whose date of death was July 28, 2023, is pending in the Circuit Court for Duval County, Florida, Probate Division, the address of which is 501 W. Adams Street, Jacksonville, Florida 32202. The names and addresses of the personal representative and the personal representative’s attorney are set forth below.

All creditors of the decedent and other persons having claims or demands against decedent’s estate

FIRST INSERTION

on whom a copy of this notice is required to be served must file their claims with this court ON OR BEFORE THE LATER OF 3 MONTHS AFTER THE TIME OF THE FIRST PUBLICATION OF THIS NOTICE OR 30 DAYS AFTER THE DATE OF SERVICE OF A COPY OF THIS NOTICE ON THEM.

All other creditors of the decedent and other persons having claims or demands against decedent’s estate must file their claims with this court WITHIN 3 MONTHS AFTER THE DATE OF THE FIRST PUBLICATION OF THIS NOTICE.

ALL CLAIMS NOT FILED WITHIN THE TIME PERIODS SET FORTH IN FLORIDA STATUTES SECTION 733.702 WILL BE FOREVER BARRED. NOTWITHSTANDING THE

TIME PERIODS SET FORTH ABOVE, ANY CLAIM FILED TWO (2) YEARS OR MORE AFTER THE DECEDENT’S DATE OF DEATH IS BARRED.

The date of first publication of this notice is September 14, 2023.

FIRST INSERTION

Legal Notice

To all parties seeking to make a claim against Simpkins: Ronald Moses is doing business as RONALD MOSES SIMPKINS and all derivatives thereof. Notice of fee schedules(s) from EXECUTOR OFFICE OF RONALD MOSES SIMPKINS LIVING TRUST: Each and every use not authorized by Simpkins, Ronald Moses requires a $10,000.00 USD fine payable to: RONALD MOSES SIMPKINS within 30 days of notice and the fines must be settled in full. In order to authorize, contact must be made with the Name Holder for a contract to do so. Failure to timely notify the name holder, produces an agreement that the user’s contract is invalid. Additionally, this notice is retroactive. All parties prior to this notice must contact the Name Holder within 180 days of this notice for an update to the contract. Be advised that this notice is applicable to the use of each and every account associated with RONALD MOSES SIMPKINS all derivatives thereof. A written, request must be signed under penalty of perjury and sent to the Name Holder at care of; 1844 East 22nd Street, Jacksonville, Florida near: [32206-9998], all other deviations will be returned as invalid to sender.

NOTICE OF

ASSUMED NAME FILING

Certificate of Assumed Name: Minnesota Statutes, Chapter 333; ASSUMED NAME: RONALD SIMPKINS; Registered at the office of Minnesota Secretary of state; Work Item 1379816900026; Original File Number 1379816900026; Filed on 03/10/2023 11:59 PM Name holder; Ronald Moses Simpkins; Active/In Good Standing; Sep. 14 00 (23-06249D)

FIRST INSERTION IN THE CIRCUIT COURT, OF THE FOURTH JUDICIAL CIRCUIT, IN AND FOR DUVAL COUNTY, FLORIDA CASE NO.: 16-2023-DR-005719

FIRST INSERTION

IMPORTANT NOTICE TRUE CARE DOCS LLC

(MEDCAL PRACTICE) CLOSING

Dear Patients: Dr. Pradeep Khanna will be closing his medical practice TRUE CARE DOCS LLC at 8613 Old Kings Rd. S. UNIT 303 Jacksonville, FL 32217. This medical office will be permanently closed effectively on October 15th 2023. After October 15th to obtain the copies of your MEDICAL RECORDS please contact by phone or fax . Phone# 904-5271055. Fax #904-329-3210 Sep. 14/21/28, Oct. 5 00 (23-06252D)

NOTICE OF PUBLIC SALE

WALT’S WRECKER SER -

VICE, LLC gives notice that on 09/28/2023 at 08:00 AM the following vehicles(s) may be sold by public sale at WALT’S WRECKER SERVICE, LLC 503 NORTH ELLIS ROAD, JACKSONVILLE, FLORIDA 32254 ALL SALES ARE FINAL. THESE VEHICLES WILL BE SOLD AS IS & NO TITLE’S OR CD’S GUARANTEED.” to satisfy the lien for the amount owed on each vehicle for any recovery, towing, or storage services charges and administrative fees allowed pursuant to Florida statute 713.78.

1GDG5C1E45F902355 2005 GMC This notification is published in JACKSONVILLE DAILY RECORD on 09/14/2023. Sep. 14 00 (23-06248D)

CITY OF JACKSONVILLE Bidding Opportunities

FIRST INSERTION BID NOTICE

CITY OF JACKSONVILLE INVITATION TO BID

SEALED BIDS WILL BE RECEIVED BY THE CITY OF JACKSONVILLE, PROCUREMENT DIVISION, ROOM 105, ED BALL BUILDING, 214 N. HOGAN STREET, JACKSONVILLE, FLORIDA 32202 UNTIL THE TIME AND DATES AS

FOLLOWS:

WEDNESDAY

OCTOBER 11, 2023, AT 2:00 P. M. 8th FLOOR ROOM #825 SC-0446-23 LIGHT VEHICLE WRECKER SERVICE - REBID 2 COREY SIDLO, ANALYST 904-255-8815 PRE-BID CONFERENCE: NA

WEDNESDAY

OCTOBER 11, 2023, AT 2:00 P. M. 8th FLOOR ROOM #825 SC-0438-23 ANNUAL RESTROOM IMPROVEMENTS RUBEN OLA, ANALYST 904-255-8823 PRE-BID CONFERENCE: NA

Feb. 6, 2024 March 5, 2024

BP 32.01 Landscaping & Irrigation

** Dates are subject to change. Notice will be given to Pre-Qualified bidders for UNF East Ridge Honors Residence Hall will be received by Ajax Building Company, LLC at 10365 Hood Rd Suite 203, Jacksonville, FL 32257 until 2:00 p.m. Local Time, on the above referenced dates.

Pre-Bid Conference will be held virtually via GoToMeeting. Meeting invitations will be sent to pre-qualified bidders. Pre-Bid Conferences are not mandatory although bidders are encouraged to attend.

Interested bidders are required to complete Ajax Building Company, LLC’s pre-qualification process. Only bidders meeting pre-qualification criteria may bid. Bidders must submit a completed experience questionnaire and financial statement on the form entitled “Bidder Qualifications Questionnaire”, incorporated herein by reference. The subcontractor’s financial condition must demonstrate that adequate fixed and liquid assets and equipment are available to properly perform the Subcontract. Bids may be considered non-responsive if bidder has not completed the prequalification process. Interested bidders should contact Prequalification Manager, Jeff Chamberlain via email: jeff.chamberlain@ajaxbuilding.com or tel: (727) 394-3241 for pre-qualification information.

For contractors, businesses and trades that are regulated by licensing, bidder must be licensed in the State of Florida.

Bid Documents for UNF East Ridge Honors Residence Hall are scheduled to be made available electronically on/or before the Pre-Bid Date given above. Interested, pre-qualified bidders can access the Ajax ShareFile site, where they may obtain the Bid Documents (drawings, specifications, bid packages, addenda and other bid documents).

No bids may be withdrawn after the scheduled closing time for receipt of bids for a period of sixty (60) days.

Proposals shall be sealed and plainly marked, “Bid”, with name of project, bid package number and description, name and address of bidder, time and date due.

Ajax Building Company, LLC must receive the original hard copies of your complete bid proposal submittal (including bid proposal form, bid proposal affidavit, bid security, and other documents as may be required) in our office at 10365 Hood Rd Suite 203, Jacksonville, FL 32257 no later than the above referenced date and time.

If you are unable to physically submit your bid proposal in hard copy to Ajax Building Company, LLC, your bid proposal may be submitted via email to Henry.sockbeson@ajaxbuilding.com prior to the bid closing date and time. If bid proposal is submitted via email, bidder shall scan the complete bid proposal submittal (including bid proposal form, bid proposal affidavit, bid security, and other documents as may be required) and email bid proposal submittal as one (1) electronic (PDF) document. Subject line of email shall be marked “Bid”, with name of project, bid package number and description. Ajax Building Company, LLC must receive the original hard copies of your complete bid proposal submittal (including bid proposal form, bid proposal affidavit, bid security, and other documents as may be required) in our office at 10365 Hood Rd Suite 203, Jacksonville, FL 32257 no later than the close of business on the next business day after bids are due. Note: Zip files are not accepted by our email server. If submitting your bid via email, do not include any zip files in attachments. Ajax Building Company, LLC is not responsible for bids that are not received due to rejected emails or emails that have been designated as spam by the email server.

The Construction Manager reserves the right to reject any and all bids received and to waive any and all informalities or irregularities in regard thereto

Bid Proposals Totaling $40,000 or Greater

Each bid totaling $40,000 or greater must be accompanied by a Bid Bond on the form enclosed in this Master Bid Package, certified check, or cashier’s check in an amount no less than five percent (5%) of the total base bid amount as guarantee that the bidder will, if awarded the contract, enter into a written contract, satisfactory in form, containing a penalty clause and requiring workers’ compensation and public liability insurance and approval of subcontractor by Ajax Building Company, LLC and shall be prepared to provide Payment and Performance Bonds on the forms enclosed in this Master Bid Package to Ajax Building Company, LLC in the full amount of the contract price within seven (7) days after acceptance.

Bid Proposals Totaling Less Than $40,000

Bid security and bonding requirements do not apply to bid proposals and subcontract awards totaling less than $40,000. At the discretion of Ajax Building Company, LLC, a shortened Subcontract Agreement form may be used for subcontract awards totaling less than $40,000.

Equal Opportunity Employment Statement

Ajax Building Company, LLC (Ajax), as part of STO Building Group and its commitment to Equal Employment Opportunity, adheres to all federal, state, and local laws with respect to Equal Employment Opportunity. Our policy is to afford Equal Employment Opportunity to qualified individuals regardless of age, alienation or citizenship status, ancestry, color, creed, disability, gender, gender identity, genetic information, national origin, pregnancy, race, religion, sexual orientation, veteran status or active military service member, or any other classification protected against discrimination under federal law to applicants and employees of Ajax Sep. 14 00 (23-06245D)

DIVISION: FM-E RAUL FERNANDO CENA Petitioner, and, LEANN CENA Respondent.

NOTICE OF ACTION FOR DISSOLUTION OF MARRIAGE (NO CHILD OR FINANCIAL SUPPORT)

TO: LEANN CENA 15180 NORMANDY BLVD. JACKSONVILLE, FL 32234

YOU ARE NOTIFIED that an action for dissolution of marriage has been filed against you and that you are required to serve a copy of your written defenses, if any, to it on RAUL FERNANDO CENA, whose address is 15180 NORMANDY BLVD JACKSONVILLE FL 32234 on or before October 20, 2023, and file the original with the clerk of this Court at Family Law Dept., 501 W. Adams St., Rm. 1191, Jacksonville, FL 32202, before service on Petitioner or immediately thereafter. If you fail to do so, a default may be entered against you for the relief demanded in the petition.

The action is asking the court to decide how the following real or personal property should be divided: NONE

Copies of all court documents in this case, including orders, are available at the Clerk of the Circuit Court’s office. You may review these documents upon request.

You must keep the Clerk of the Circuit Court’s office notified of your current address. (You may file Designation of Current Mailing and E-Mail Address, Florida Supreme Court Approved Family Law Form 12.915.) Future papers in this lawsuit will be mailed or e-mailed to the address(es) on record at the clerk’s office.

WARNING: Rule 12.285, Florida Family Law Rules of Procedure, requires certain automatic disclosure of documents and information. Failure to comply can result in sanctions, including dismissal or striking of pleadings.

Dated: September 5, 2023.

JODY

FIRST INSERTION IN THE CIRCUIT COURT, FOURTH JUDICIAL CIRCUIT, IN AND FOR DUVAL COUNTY, FLORIDA

CASE NO.: 16-2023-CP-001997 DIVISION: PR-B IN RE: ESTATE OF ROBERT EDWARD WEBB, JR., Deceased.

NOTICE TO CREDITORS

If you have been served with a copy of this notice and you have any claim or demand against the decedent’s estate, even if that claim is unmatured, contingent, or unliquidated, you must file your claim with the court ON OR BEFORE THE LATER OF A DATE THAT IS 3 MONTHS AFTER THE FIRST PUBLICATION OF THIS NOTICE OR 30 DAYS AFTER YOU RECEIVE A COPY OF THIS NOTICE.

All other creditors of the decedent and other persons who have claims or demands against the decedent’s estate, including unmatured, contingent, or unliquidated claims, must file their claims with the court ON OR BEFORE THE DATE THAT IS 3 MONTHS AFTER THE FIRST PUBLICATION OF THIS NOTICE.

ALL CLAIMS NOT FILED WITHIN THE PERIODS SET FORTH IN SECTION 733.302, FLORIDA STATUTES, WILL BE FOREVER BARRED. EVEN IF A CLAIM IS NOT BARRED BY THE LIMITATIONS DESCRIBED ABOVE, ALL CLAIMS THAT HAVE NOT BEEN FILED WILL BE BARRED TWO YEARS AFTER DECEDENT’S DEATH.

The address of the court where this probate is pending is: 501 W. Adams Street, Jacksonville, FL 32202.

The date of death of the decedent is: April 13, 2023.

The date of first publication of this notice is: September 14, 2023.

Petitioner: Aaron Webb c/o Law Offices of Mark F. Moss,

DONNA DEEGAN, MAYOR CITY OF JACKSONVILLE, FLORIDA DUSTIN FREEMAN, CHIEF PROCUREMENT DIVISION Sep. 14 00 (23-06251D)

FIRST INSERTION BID NOTICE

CITY OF JACKSONVILLE INVITATION TO BID

SEALED BIDS WILL BE RECEIVED BY THE CITY OF JACKSONVILLE, PROCUREMENT DIVISION, ROOM 105, ED BALL BUILDING, 214 N. HOGAN STREET, JACKSONVILLE, FLORIDA 32202 UNTIL THE TIME AND DATES AS FOLLOWS: WEDNESDAY OCTOBER 11, 2023, @ 2:00 P.M. 1ST FLOOR Room 105 JCF-0115-23 FLYNN ROAD DRAINAGE IMPROVEMENTSREBID

ANNETTE BURNEY, ANALYST 904-255-8810 BID DOCUMENTS: $0

SCOPE: THE WORK CONSISTS OF FURNISHING ALL LABOR, MATERIALS, AND EQUIPMENT AND PERFORMING ALL OPERATIONS NECESSARY FOR THE INSTALLATION OF NEW DRAINAGE INLETS AND DRAINAGE PIPE ON FLYNN ROAD. THE WORK INCLUDES, BUT NOT LIMITED TO, PAVEMENT REPAIR, SITE PREPARATION AND CLEARING, DRAINAGE PIPE AND INLET INSTALLATION, GRASSING, DEWATERING, MAINTENANCE OF TRAFFIC, EROSION CONTROL AND POLLUTION ABATEMENT, AND ALL OTHER RELATED WORK IN ACCORDANCE WITH THE CONTRACT DRAWINGS.

PRE-QUALIFICATION: BIDDING FIRM MUST BE ACTIVELY LICENSED BY THE STATE OF FLORIDATO PERFORM THE SCOPE OF SERVICES.

MANDATORY PRE-BID

CONFERENCE: NA

DONNA DEEGAN, MAYOR CITY OF JACKSONVILLE, FLORIDA DUSTIN FREEMAN, CHIEF PROCUREMENT DIVISION Sep. 14 00 (23-06250D)

14B THURSDAY, SEPTEMBER 14, 2023 JACKSONVILLE DAILY RECORD PUBLIC NOTICES DUVAL
COUNTY
12276 San Jose Blvd., Suite 520 Jacksonville,
for Petitioner MARK F. MOSS, ESQ. Florida Bar Number: 119573 Law Offices of Mark F. Moss, PLLC 12276 San Jose Blvd., Suite 520 Jacksonville, FL 32223 Telephone: (904) 329-7242
1: Service@markmosslaw.com E-Mail 2: mark@markmosslaw.com Sep. 14/21 00 (23-06244D)
PLLC
FL 32223 Attorney
E-Mail
PHILLIPS CLERK OF THE CIRCUIT COURT
(Court Seal) Sep. 14/21/28, Oct. 5 00 (23-06233D)
Clerk
Personal Representative: Janet L. Richardson 1504 Dr. Dunn
Cumming, GA 30040 Attorney for Personal Representative: Kimberly A. Gossett Attorney Florida Bar Number: 0123536 2850-50 Isabella Boulevard Jacksonville Beach, FL 32250 Telephone: (904) 372-0185 Fax: (904) 212-0877 E-Mail: kgossett@beacheselderlaw.com Sep. 14/21 00 (23-06253D) FIRST INSERTION NOTICE TO BIDDERS Date 9/12/2023 Ajax Building Company, LLC will be accepting Sealed Bids for the following Bid Packages on the dates and times stipulated below. Bid Group Bid Package No. & Description Pre-Bid Date / 2:00 PM Bid Date / 2:00 PM 1 BP 01.01 Test Laboratory Services Feb. 6, 2024 March 5, 2024 1 BP 01.03 Final Cleaning Feb. 6, 2024 March 5, 2024 1 BP 03.01 Concrete Nov. 14, 2023 Nov. 30, 2023 1 BP 05.01 Structural & Miscellaneous Steel Nov. 14, 2023 Nov. 30, 2023 1 BP 06.01 Millwork Feb. 6, 2024 Feb. 27, 2024 1 BP 07.06 Membrane Roofing Feb. 6, 2024 Feb. 27, 2024 1 BP 07.08 Applied Fireproofing Feb. 6, 2024 Feb. 27, 2024 1 BP 08.01 Doors, Frames & Hardware Feb. 6, 2024 Feb. 27, 2024 1 BP 08.03 Entrances Storefront Curtain Walls Nov. 14, 2023 Nov. 30, 2023 1 BP 09.01 Framing, Drywall, & ACT Ceilings Feb. 6, 2024 Feb. 27, 2024 1 BP 09.02 Flooring Feb. 6, 2024 Feb. 27, 2024 1 BP 09.09 Painting & Wall Coverings Feb. 6, 2024 Feb. 27, 2024 1 BP 10.01 Specialties Feb. 6, 2024 Feb. 27, 2024 1 BP 11.05 Food Service Equipment Feb. 6, 2024 Feb. 27, 2024 1 BP 14.01 Hydraulic Elevators Feb. 6, 2024 Feb. 27, 2024 1 BP 21.01 Fire Protection Feb. 6, 2024 Feb. 27, 2024 1 BP 22.01 Plumbing Nov. 15, 2023 Dec. 7, 2023 1 BP 23.01 HVAC w/ Controls Nov. 15, 2023 Dec. 7, 2023 1 BP 26.01 Electrical w/ Communications Nov. 15, 2023 Dec. 7, 2023 1 BP 31.01 Sitework & Utilities Sept. 22, 2023 Oct. 5, 2023 1
Road
Call: 904.356.2466 or Email: legal@jaxdailyrecord.com For Legal Advertising SERVING DUVAL, CLAY, NASSAU & ST. JOHNS COUNTIES
www.jaxdailyrecord.com/subscribe

FIRST INSERTION IN THE CIRCUIT COURT FOR DUVAL COUNTY, FLORIDA PROBATE DIVISION

File No. 16-2023-CP-002390

Division PR-A IN RE: ESTATE OF BRADLEY C. TROWBRIDGE, Deceased.

NOTICE TO CREDITORS

The administration of the estate of BRADLEY C. TROWBRIDGE, deceased, whose date of death was June 27, 2023, is pending in the Circuit Court for Duval County, Florida, Probate Division, the address of which is 501 W. Adams Street, Jacksonville, Florida 32202. The names and addresses of the personal representative and the personal representative’s attorney are set forth below.

All creditors of the decedent and other persons having claims or demands against decedent’s estate, on whom a copy of this notice is required to be served, must file their claims with this court ON OR BEFORE THE LATER OF 3 MONTHS AFTER THE TIME OF THE FIRST PUBLICATION OF THIS NOTICE OR 30 DAYS AFTER THE DATE OF SERVICE OF A COPY OF THIS NOTICE ON THEM.

All other creditors of the decedent and other persons having claims or demands against decedent’s estate must file their

claims with this court WITHIN 3 MONTHS AFTER THE DATE OF THE FIRST PUBLICATION OF THIS NOTICE. ALL CLAIMS NOT FILED WITHIN THE TIME PERIODS SET FORTH IN FLORIDA STATUTES SECTION 733.702 WILL BE FOREVER BARRED. NOTWITHSTANDING THE TIME PERIOD SET FORTH ABOVE, ANY CLAIM FILED

TWO (2) YEARS OR MORE AFTER THE DECEDENT’S DATE OF DEATH IS BARRED.

The date of first publication of this notice is: September 14, 2023.

Signed on this 11th day of August, 2023.

RANDALL C. TROWBRIDGE

Personal Representative 8140 Township Line Road, #21105 Indianapolis, IN 46260

Robert H. Trudeau

Attorney for

Personal Representative Florida Bar No. 0889091

PURCELL, FLANAGAN, HAY & GREENE, P.A. 1548 Lancaster Terrace Jacksonville, Florida 32204

Telephone: (904) 355-0355

Fax (904) 355-0820

Email: RTrudeau@pfhglaw.com

Secondary Email: LFlood@pfhglaw.com Sep. 14/21 00 (23-06234D)

FIRST INSERTION IN THE CIRCUIT COURT OF THE FOURTH JUDICIAL CIRCUIT IN AND FOR DUVAL COUNTY, FLORIDA PROBATE DIVISION

FILE NO.: 16-2023-CP-002406

DIVISION: PR-A IN RE: ESTATE OF WELLFORD C. REED, JR.,

sometimes also known as WELLFORD CLAIBORNE REED, JR., Deceased.

NOTICE TO CREDITORS

The administration of the Estate of WELLFORD C. REED, JR., sometimes also known as WELLFORD CLAIBORNE REED, JR., deceased, File No.: 16-2023-CP002406, who died on May 2, 2023, is pending in the Circuit Court for Duval County, Florida, Probate Division, the address of which is Duval County Courthouse, 501 West Adams Street. Jacksonville, Florida 32202. All creditors of the decedent and other persons having claims or demands against decedent’s estate on whom a copy of this notice is required to be served must file their claims with this Court ON OR BEFORE THE LATER OF 3 MONTHS AFTER THE DATE OF THE FIRST PUBLICATION OF THIS NOTICE OR 30 DAYS AFTER THE DATE OF SERVICE OF A COPY OF THIS NOTICE

JUDICIAL CIRCUIT OF FLORIDA IN AND FOR DUVAL COUNTY GENERAL JURISDICTION

DIVISION

CASE NO. 16-2020-CA-001366

DIVISION: FC-D

U.S. BANK NATIONAL ASSOCIATION, AS TRUSTEE FOR BAYVIEW ASSET-BACKED SECURITIES TRUST SERIES 2007-5, ASSET-BACKED SECURITIES, SERIES 2007-5, Plaintiff, v. ALL UNKNOWN HEIRS, DEVISEES, LEGATEES, BENEFICIARIES, GRANTEES, OR OTHER PERSONS OR ENTITIES CLAIMING BY OR THROUGH EVA JOHNSON, DECEASED, et al., Defendants.

NOTICE OF FORECLOSURE SALE

NOTICE IS HEREBY GIVEN pursuant to a Summary Final Judgment of Foreclosure entered June 7, 2023 in Civil Case No. 16-2020-CA-001366 of the Circuit Court of the FOURTH JUDICIAL CIRCUIT in and for Duval County, Jacksonville, Florida, wherein

U.S. BANK NATIONAL ASSOCIATION, AS TRUSTEE FOR BAYVIEW ASSET-BACKED SECURITIES TRUST SERIES 2007-5, ASSET-BACKED SECURITIES, SERIES 2007-5 is Plaintiff and ALL UNKNOWN HEIRS, DEVISEES, LEGATEES, BENEFICIARIES, GRANTEES, OR OTHER PERSONS OR ENTITIES CLAIMING BY OR THROUGH EVA JOHNSON, DECEASED, et al., are Defendants, the Clerk of Court, Jody Phillips, will sell to the highest and best bidder for cash electronically at: www.duval.realforeclose.com in accordance with Chapter 45,

IMMEDIATELY FOLLOW-

ING: 2711 Faye Rd Jacksonville FL 32226 – Unit 216 – Kimberly J Lester; Unit 479 – Janay D James; Unit 588 – Dayrell A Moses; Unit 902 – Justin J Jones

IMMEDIATELY FOLLOW-

ING: 10601 Alta Drive Jacksonville FL 32226 – Unit 111 –Charles Eichelberger; Unit 1127 –Diversified Liquidation; Unit 1145

- Diversified Liquidation; Unit 1145 – Naomi Lumpkin; Unit 1146

- Diversified Liquidation; Unit 1146 – Naomi Lumpkin; Unit 1157

- Diversified Liquidation; Unit 1157 – Naomi Lumpkin; Unit 1201

DUVAL COUNTY SUBSEQUENT INSERTIONS

SECOND INSERTION

IN THE CIRCUIT COURT, FOURTH JUDICIAL CIRCUIT IN AND FOR DUVAL COUNTY, FLORIDA PROBATE DIVISION CASE NO.: 16-2023-CP-001925

DIVISION: PR-B

IN RE THE ESTATE OF: GEORGE HERMAN NUBER, Deceased. NOTICE TO CREDITORS

SECOND INSERTION

IN THE CIRCUIT COURT OF THE FOURTH JUDICIAL CIRCUIT IN AND FOR DUVAL COUNTY, FLORIDA PROBATE DIVISION

Case No. 16-2023-CP-001328

Division: PR-A

IN RE: ESTATE OF SUZANNE-MARIE LIA

OLSSON, Deceased.

dent and other persons having claims or demands against decedent’s estate must file their claims with this court WITHIN

3 MONTHS AFTER THE DATE OF THE FIRST PUBLICATION OF THIS NOTICE.

ON THEM.

All other creditors of the decedent and other persons having claims or demands against decedent’s estate must file their claims with this Court WITHIN 3 MONTHS AFTER THE DATE OF THE FIRST PUBLICATION OF THIS NOTICE.

ALL CLAIMS NOT FILED WITHIN THE TIME PERIODS SET FORTH IN FLORIDA STATUTES SECTION 733.702 WILL BE FOREVER BARRED. NOTWITHSTANDING THE TIME PERIODS SET FORTH ABOVE, ANY CLAIM FILED TWO (2) YEARS OR MORE AFTER THE DECEDENT’S DATE OF DEATH IS BARRED. The date of first publication of this notice is September 14, 2023.

Lynn Blakemore 4206 Fleet Landing Boulevard Atlantic Beach, Florida 32233

Personal Representative

Jean C. Coker Florida Bar No. 126623

Email: jcc_jccpa@bellsouth.net

Purcell, Flanagan, Hay & Greene, P.A. 1548 Lancaster Terrace

Jacksonville, Florida 32204

Phone: 904-296-1100/

Fax: 904-296-1200

Attorney for Personal Representative Sep. 14/21 00 (23-06243D)

Florida Statutes on the 10th day of October, 2023 at 11:00 AM on the following described property as set forth in said Summary Final Judgment, to-wit:

LOT 10, COLEMAN COURT, ACCORDING TO PLAT THEREOF RECORDED IN PLAT BOOK 20, PAGE 95, CURRENT PUBLIC RECORDS OF DUVAL COUNTY, FLORIDA.

Address: 2402 Coleman Court, Jacksonville, FL 32254

Any person claiming an interest in the surplus from the sale, if any, other than the property owner as of the date of the lis pendens, must file a claim before the clerk reports the surplus as unclaimed.

Americans With Disabilities Act (ADA) Notice

In accordance with the Americans with Disabilities Act of 1990 (ADA), If you are a person with a disability who needs any accommodation in order to participate in this proceeding, you are entitled at no cost to you, to the provision of certain assistance.

Please contact the ADA Coordinator at crtintrp@coj.net or (904) 2551695 at least 7 days before your scheduled court appearance, or immediately upon receiving this notification if the time before the scheduled appearance is less than 7 days; if you are hearing or voice impaired, call 711.

Dated this 12th day of Septem-

ber, 2023 JODY PHILLIPS Clerk of the Circuit Court

- Diversified Liquidation (business liquidation); Unit 1201 – Patsey Bartley (business liquidation) Unit 1223 - Diversified Liquidation; Unit 1223 – Patsey Bartley; Unit 1223 – Patsey (Owner) Bartley; Unit 308 – Shanetha Watson; Unit 40 – Kimberly Lester-Jones; Unit 715 – Shaakira Atwater; Unit 876 – Tangie L Bradley

Those listed above are delinquent in rent and under FL Statute 83.806 the contents of their units will be sold at Public Sale with a 10% Buyer’s Premium. The above units contain household goods and personal items unless otherwise noted. All Vehicles are sold AS-IS, PARTS ONLY. Terms of sale are CASH ONLY, due at the end of each Public Sale.

Sep. 14/21 00 (23-06247D)

FIRST INSERTION IN THE CIRCUIT COURT FOR DUVAL COUNTY, FLORIDA PROBATE DIVISION

File No. 16-2023-CP-002554 Division PR-A

IN RE: ESTATE OF ALFONZO JERMEL TYLER Deceased.

NOTICE TO CREDITORS

The administration of the estate of Alfonzo Jermel Tyler, deceased, whose date of death was March 6, 2023, is pending in the Circuit Court for Duval County, Florida, Probate Division, the address of which is 501 West Adams Street, Jacksonville, Florida 32202. The names and addresses of the petitioner and the petitioner’s attorney are set forth below.

All creditors of the decedent and other persons having claims or demands against decedent’s estate on whom a copy of this notice is required to be served must file their claims with this court ON OR BEFORE THE LATER OF 3 MONTHS AFTER THE TIME OF THE FIRST PUBLICATION OF THIS NOTICE OR 30 DAYS AFTER THE DATE OF SERVICE OF A COPY OF THIS NOTICE ON THEM.

All other creditors of the decedent and other persons having claims or demands against decedent’s estate must file their claims with this court WITHIN 3 MONTHS AFTER THE DATE OF THE FIRST PUBLICATION OF THIS NOTICE. ALL CLAIMS NOT FILED WITHIN THE TIME PERIODS SET FORTH IN FLORIDA STATUTES SECTION 733.702 WILL BE FOREVER BARRED.

NOTWITHSTANDING THE TIME PERIODS SET FORTH ABOVE, ANY CLAIM FILED TWO (2) YEARS OR MORE AFTER THE DECEDENT’S DATE OF DEATH IS BARRED.

The date of first publication of this notice is September 14, 2023.

The administration of the estate of GEORGE HERMAN NUBER, deceased, whose date of death was January 25, 2023, is pending in the Circuit Court for Duval County, Florida, Probate Division, the address of which is 501 West Adams Street, Jacksonville, FL 32202. The names and addresses of the personal representative and the personal representative’s attorney are set forth below. All creditors of the decedent and other persons having claims or demands against decedent’s estate on whom a copy of this notice has been served must file their claims with the court WITHIN THE LATER OF 3 MONTHS AFTER THE DATE OF THE FIRST PUBLICATION OF THIS NOTICE OR 30 DAYS AFTER THE TIME OF SERVICE OF A COPY OF THIS NOTICE ON THEM. All other creditors of the decedent and other persons having claims or demands against decedent’s estate must file their claims with this court WITHIN 3 MONTHS AFTER THE DATE OF THE FIRST PUBLICATION OF THIS NOTICE. ALL CLAIMS NOT SO FILED WILL BE FOREVER BARRED. NOTWITHSTANDING THE TIME PERIOD SET FORTH ABOVE, ANY CLAIM FILED TWO (2) YEARS OR MORE AFTER THE DECEDENT’S DATE OF DEATH IS BARRED. The date of first publication of this notice is September 7, 2023.

Personal Representative: ROBERT C. NUBER 8405 Cassie Road Jacksonville, Florida 32221 Attorney for Personal Representative: JONATHAN H. GOODMAN, ESQ. Florida Bar No.: 293407 1377 Cassat Avenue Jacksonville, Florida 32205 (904) 389-1346 Attorney for Personal Representative Sep. 7/14 1 (23-05989D)

SECOND INSERTION

IN THE CIRCUIT COURT FOR DUVAL COUNTY, FLORIDA PROBATE DIVISION File No. 16-2022-CP-002972 Division PR-A IN RE: ESTATE OF EDIN ADONAY OSORTO RIVERA Deceased.

NOTICE TO CREDITORS

The administration of the estate of Edin Adonay Osorto Rivera, deceased, whose date of death was October 19, 2020, is pending in the Circuit Court for Duval County, Florida, Probate Division, the address of which is 501 West Adams Street, Jacksonville, Florida 32202. The names and addresses of the personal representative and the personal representative’s attorney are set forth below.

All creditors of the decedent and other persons having claims or demands against decedent’s estate on whom a copy of this notice is required to be served must file their claims with this court ON OR BEFORE THE LATER OF 3 MONTHS AFTER THE TIME OF THE FIRST PUBLICATION OF THIS NOTICE OR 30 DAYS AFTER THE DATE OF SERVICE OF A COPY OF THIS NOTICE ON THEM.

All other creditors of the decedent and other persons having claims or demands against decedent’s estate must file their claims with this court WITHIN 3 MONTHS AFTER THE DATE OF THE FIRST PUBLICATION OF THIS NOTICE. ALL CLAIMS NOT FILED WITHIN THE TIME PERIODS SET FORTH IN FLORIDA STATUTES SECTION 733.702 WILL BE FOREVER BARRED. NOTWITHSTANDING THE TIME PERIODS SET FORTH ABOVE, ANY CLAIM FILED TWO (2) YEARS OR MORE AFTER THE DECEDENT’S DATE OF DEATH IS BARRED.

The date of first publication of this notice is September 7, 2023.

NOTICE TO CREDITORS

The administration of the estate of Suzanne-Marie Lia Olsson, deceased, whose date of death was June 24, 2022, is pending in the Circuit Court for Duval County, Florida, Probate Division, the address of which is 501 W. Adams Street, Jacksonville, FL 32202. The names and addresses of the personal representative and the personal representative’s attorney are set forth below.

All creditors of the decedent and other persons having claims or demands against decedent’s estate on whom a copy of this notice is required to be served must file their claims with this court ON OR BEFORE THE LATER OF 3 MONTHS AFTER THE TIME OF THE FIRST PUBLICATION OF THIS NOTICE OR 30 DAYS AFTER THE DATE OF SERVICE OF A COPY OF THIS NOTICE ON THEM.

All other creditors of the dece-

ALL CLAIMS NOT FILED WITHIN THE TIME PERIODS SET FORTH IN FLORIDA STATUTES SECTION 733.702 WILL BE FOREVER BARRED. NOTWITHSTANDING THE TIME PERIODS SET FORTH ABOVE, ANY CLAIM FILED

TWO (2) YEARS OR MORE AFTER THE DECEDENT’S DATE OF DEATH IS BARRED. The date of first publication of this notice is September 7, 2023. Raymond Edwards, Personal Representative 97 Chocktaw Drive Oakland, TN 38060 HARRISON ESTATE LAW, P.A.

By: Julie C. Marble, Esquire Florida Bar Number: 1031924

Email: julie@harrisonestatelaw.com Attorney for Raymond Edwards 6224 NW 43rd Street, Suite B Gainesville, FL 32653 Tel: (352) 559-9828 Fax: (352) 559-0880 Secondary Email: eservice@harrisonestatelaw.com Sep. 7/14 1 (23-05986D)

SECOND INSERTION

IN THE CIRCUIT COURT, FOURTH JUDICIAL CIRCUIT IN AND FOR DUVAL COUNTY, FLORIDA Case No.: 16-2023-CA-010090 Division: CV-E

In Re:

AMASIA MANUFACTURERS

ALLIANCE CORP., a Florida corporation, Assignor, To: MARK HEALY, Assignee, NOTICE OF ASSIGNMENT FOR THE BENEFIT OF CREDITORS TO: ALL CREDITORS AND OTHER INTERESTED PARTIES PLEASE TAKE NOTICE THAT:

1. On August 23, 2023, a petition was filed commencing an Assignment for the Benefit of Creditors proceeding, pursuant to Chapter 727, Florida Statutes, made by Amasia Manufacturers Alliance Corp., a Florida Corporation (the “Assignor”), with its principal place of business at 10151 Deerwood Park Boulevard, Building 200, Suite 250, Jacksonville, Florida 32256 to Mark Healy (the “Assignee”), of Michael Moecker & Associates, Inc., whose address is 1885 Marina Mile Blvd., Suite 103, Fort Lauderdale, FL 33315.

2. Pursuant to Florida Statutes

727.105, no proceeding may be commenced against the Assignee except as provided in Chapter 727 and except in the case of a secured creditor enforcing its rights and collateral under Chapter 679, there shall be no levy, execution, attachment, or the like in the respect of any judgment against assets of the estate, other than real property, in the possession, custody, or control of the Assignee.

3. YOU ARE HEREBY further noticed that in order to receive any dividend in this proceeding you must file the enclosed proof of claim with the Assignee, Mark Healy of Michael Moecker & Associates, Inc. at 1885 Marina Mile Blvd., Suite 103, Fort Lauderdale, FL 33315, on or before December 20, 2023. Dated this 25th day of August 2023.

LANSING ROY, P.A.

/s/ Kevin B. Paysinger

Kevin B. Paysinger, Esquire

Florida Bar No. 0056742

William B. McDaniel, Esquire

Florida Bar No. 084469

Attorney for Defendant(s) 1710 Shadowood Lane, Suite 210 Jacksonville, FL 32207-2184 stcourt@lansingroy.com

Telephone: (904) 391-0030

Facsimile: (904) 391-0031

Sep. 7/14/21/28 1 (23-05973D)

SECOND INSERTION

IN THE CIRCUIT COURT FOR DUVAL COUNTY, FLORIDA PROBATE DIVISION File No.: 16-2023-CP-002018

Division: PR-B IN RE: ESTATE OF MELVIN ALEXAS ANDREU, Deceased.

NOTICE TO CREDITORS

The administration of the estate of, Melvin Alexas Andreu, deceased, whose date of death was September 20, 2022, and whose case number is 16-2023-CP002018, is pending in the Circuit Court for Duval County, Florida, Probate Division, the address of which is 501 West Adams Street, Jacksonville, Florida 32202. The names and addresses of the co-personal representatives and the attorney are set forth below.

All creditors of the decedent and other persons having claims or demands against decedent’s estate on whom a copy of this notice is required to be served must file their claims with this court WITHIN THE LATER OF

3 MONTHS AFTER THE TIME OF THE FIRST PUBLICATION OF THIS NOTICE OR 30 DAYS AFTER THE DATE OF SERVICE OF A COPY OF THIS NOTICE ON THEM.

OF THIS NOTICE. ALL CLAIMS NOT FILED WITHIN THE TIME PERIODS SET FORTH IN SECTION 733.702 OF THE FLORIDA PROBATE CODE WILL BE FOREVER BARRED. NOTWITHSTANDING THE TIME PERIODS SET FORTH ABOVE, ANY CLAIM FILED TWO (2) YEARS OR MORE AFTER

Weimer Deputy Clerk of the Court (Court Seal)

McCalla Raymer Leibert Pierce, LLC 110 SE 6th Street, Suite 2400 Fort Lauderdale, FL 33301

AccountsPayable@mccalla.com

Counsel of Plaintiff Sep. 14/21 00 (23-06231D)

All other creditors of the decedent and other persons having claims or demands against decedent’s estate must file their claims with this court WITHIN 3 MONTHS AFTER THE DATE OF THE FIRST PUBLICATION

THURSDAY, SEPTEMBER 14, 2023 15B JACKSONVILLE DAILY RECORD
PUBLIC NOTICES DUVAL COUNTY
Anabesi Almendarez
3952 Atlantic
Jacksonville,
Attorney
Personal Representative: Rebeccah Beller Attorney Florida Bar Number: 106240 Beller Law, PL 12627 San Jose Blvd, Suite 703 Jacksonville, Florida 32223 Telephone: (904) 288-4414 E-Mail: mail@bellerlawoffice.com Sep. 7/14 1 (23-05987D)
Personal Representative:
Romero
Blvd J18
Florida 32207
for
THE DECEDENT’S DATE OF DEATH IS BARRED. The date of first publication of this notice is September 7, 2023. Co-Personal Representative: Melana A. Smith 232 Mill Creek Dr Clarks Hill, SC 29821 Co-Personal Representative Lori A. White 3134 Remler Drive South Jacksonville, FL 32223 Attorney for Melana A. Smith: /s/ D. Grant Leggett, Esq. Florida Bar No.: 37611 Leggett Law Offices 301 W. Bay Street, Suite 1405 Jacksonville, FL 32202 Phone: (904) 281-9102 Fax: (904) 281-9119 Email: grant@leggettlawoffices.com /s/ Lisa DiFranza, Esq. Attorney for Lori A. White 3840 Belfort Road, Suite 301 Jacksonville, FL 32216 Tel: (904) 372-0216 Fax: (904) 800-1241 E-mail: Lisa@DiFranzaLaw.com Sep. 7/14 1 (23-05984D) Check out our website! JaxDailyRecord.com
Petitioner: Donnell Maurice Criswell 9128 Gibson Avenue Jacksonville, Florida 32208 Attorney for Petitioner: Amanda Meyer, Esquire Attorney Florida Bar Number: 76997 Owenby Law, PA 6136 Atlantic Blvd. Jacksonville, FL 32211 Telephone: (904) 359-5115 Fax: (904) 359-5116 E-Mail: Legal@OwenbyLawFirm.com Secondary E-Mail: Service@OwenbyLawFirm.com Sep. 14/21 00 (23-06227D) FIRST INSERTION IN THE CIRCUIT COURT OF THE FOURTH
INSERTION
Atlantic
LIC
location:
Jacksonville
– Unit 219 –
Unit 219 –
Unit
358
377
FIRST
NOTICE
Self Storage PUB -
SALE will be on October 5th, 2023, at 11:00 AM starting
1149 New Berlin Rd
FL 32218
Michael Tillman Sr;
Michael Tillman; Unit 238
Charles T Frye; Unit 316 – Shannon Alexander (memorabilia);
320 – Roger A Brown; Unit
– Savanna Skye Jones; Unit
– John J Carroll; Unit 544 –Irvin Best; Unit 736 – Kimberly D Kennedy; Unit 830 – Joseph Pack (tools)

PUBLIC NOTICES DUVAL COUNTY • SUBSEQUENT INSERTIONS

IN THE CIRCUIT CIVIL COURT OF THE FOURTH JUDICIAL CIRCUIT OF FLORIDA, IN AND FOR DUVAL COUNTY CIVIL DIVISION

Case No. 16-2023-CA-000936

Division FC-H

NAVY FEDERAL CREDIT UNION

Plaintiff, vs. JOHN EDWARD INGRAM AND UNKNOWN TENANTS/ OWNERS,

Defendants.

NOTICE OF SALE

Notice is hereby given, pursuant to Final Judgment of Foreclosure for Plaintiff entered in this cause on August 25, 2023, in the Circuit Court of Duval County, Florida, Jody Phillips, Clerk of the Circuit Court, will sell the property situated in Duval County, Florida described as:

LOT 20, BLOCK 1, ARLINGTON HILLS

UNIT 3-B, AS PER PLAT THEREOF, RECORDED IN PLAT BOOK 26. PAGE(S) 22, 22A AND 22B, OF THE PUBLIC RECORDS OF DUVAL COUNTY, FLORIDA. and commonly known as: 6237 SYRINGA LANE, JACKSONVILLE, FL 32211; including the building, appurtenances, and fixtures located therein, at public sale, to the highest and best bidder, for cash, online at:

SECOND INSERTION

IN THE CIRCUIT COURT, FOURTH JUDICIAL CIRCUIT, IN AND FOR DUVAL COUNTY, FLORIDA CASE NO.: 16-2023-CP-002489 DIVISION: PR-B

IN RE: ESTATE OF KATHERINE ELLEN SCHLEICH, Deceased.

NOTICE TO CREDITORS

If you have been served with a copy of this notice and you have any claim or demand against the decedent’s estate, even if that claim is unmatured, contingent, or unliquidated, you must file your claim with the court ON OR BEFORE THE LATER OF A DATE THAT IS 3 MONTHS AFTER THE FIRST PUBLICATION OF THIS NOTICE OR 30 DAYS AFTER YOU RECEIVE A COPY OF THIS NOTICE.

All other creditors of the decedent and other persons who have claims or demands against the decedent’s estate, including unmatured, contingent, or unliquidated claims, must file their claims with the court ON OR BEFORE THE DATE THAT IS 3 MONTHS

AFTER THE FIRST PUBLICATION OF THIS NOTICE.

ALL CLAIMS NOT FILED WITHIN THE PERIODS SET FORTH IN SECTION 733.302, FLORIDA STATUTES, WILL BE FOREVER BARRED.

EVEN IF A CLAIM IS NOT BARRED BY THE LIMITATIONS DESCRIBED ABOVE, ALL CLAIMS THAT HAVE NOT BEEN FILED WILL BE BARRED TWO YEARS AFTER DECEDENT’S DEATH.

The address of the court where this probate is pending is: 501 W. Adams Street, Jacksonville, FL 32202.

The date of death of the decedent is: July 27, 2023.

The date of first publication of this notice is: September 7, 2023.

Petitioner: Robert W. Schleich c/o Law Offices of Mark F. Moss, PLLC

12276 San Jose Blvd., Suite 520 Jacksonville, FL 32223

Attorney for Petitioner MARK F. MOSS, ESQ.

Florida Bar Number: 119573

Law Offices of Mark F. Moss, PLLC

12276 San Jose Blvd., Suite 520 Jacksonville, FL 32223

Telephone: (904) 329-7242

E-Mail 1:

Service@markmosslaw.com

E-Mail 2: mark@markmosslaw.com

Sep. 7/14 8 (23-06065D)

www.duval.realforeclose.com

on November 9, 2023 at 11:00

A.M.

Any persons claiming an interest in the surplus from the sale, if any, other than the property owner as of the date of the lis pendens must file a claim before the clerk reports the surplus as unclaimed.

Americans With Disabilities Act (ADA) Notice

In accordance with the Americans with Disabilities Act of 1990 (ADA),

If you are a person with a disability who needs any accommodation in order to participate in this proceeding, you are entitled at no cost to you, to the provision of certain assistance.

Please contact the ADA Coordinator at crtintrp@coj.net or (904) 2551695 at least 7 days before your scheduled court appearance, or immediately upon receiving this notification if the time before the scheduled appearance is less than 7 days; if you are hearing or voice impaired, call 711.

Dated this 5th day of September, 2023.

JODY PHILLIPS Clerk of the Circuit Court

By:

THIRD INSERTION

IN THE COURT OF COMMON PLEAS STATE OF SOUTH CAROLINA COUNTY OF YORK

C/A NO: 2023-CP-46-01609

Jackleen Mullen, Plaintiff(s), vs. Benjamin A. Skidell, Jerome A. Taylor and John Doe, whose true name is unknown, Defendant(s).

SUMMONS TO THE DEFENDANT(S)

ABOVE NAMED: YOU ARE HEREBY SUMMONED and required to answer the Complaint herein, a copy of which is herewith served upon you, or otherwise appear and defend, and to serve a copy of your Answer to said Complaint upon the subscriber at his office, 1507 Richland Street, Columbia,

SC 29201, within thirty (30) days after service hereof exclusive of the day of such service, and if you fail to answer the Complaint within the time aforesaid, or otherwise appear and defend, the Plaintiff in this action will apply to the Court for the relief demanded therein, and judgment by default will be rendered against you for the relief demanded in the Complaint.

s/Chris S. Truluck

Chris S. Truluck, SC Bar# 77829 Shealey Law Firm, LLC

Of Counsel 1507 Richland Street Columbia, SC 29201 Phone: (803) 929-0008 chris@shealeylaw.com

Attorney for Plaintiff Columbia, South Carolina May 22, 2023

Aug. 31, Sep. 7/14 30 (23-05726D)

SECOND INSERTION

IN THE CIRCUIT COURT, IN AND FOR DUVAL COUNTY, FLORIDA PROBATE DIVISION

SECOND INSERTION

Notice of Sheriff’s Sale

Jacksonville Sheriff’s Office

Notice is hereby given that pursuant to a writ of execution issued on November 28, 2022 out of the County Court of Duval County, Florida, Case No. 2008-CC017278, in the matter of Chase Bank USA, N.A., Plaintiff vs. Michael Yarmy, Defendant, the Sheriff of Duval County, Florida has levied upon all the right, title and interest of Michael Yarmy on the following described property: 2017 Ford F-150, White, 1 key, 131,363 miles 1FTEX1C89HFC81071

On October 11, 2023 at 10:00 a.m. the Sheriff will sell this property, subject to all other prior liens, taxes, judgments, if any, to the highest bidder for cash in hand. There is no time allowed to go to the bank, and only United States currency is acceptable. The sale will take place outside of

the Jacksonville Sheriff’s Office Property & Evidence Building, 829 Haines Street, Jacksonville, FL 32206, in the fenced, secured area. The property may be viewed 30 minutes prior and needs to be removed immediately afterwards. All bidders are required to register with the officer prior to the start of said sale.

American with Disabilities Act

(ADA) Notice: Individuals with disabilities needing accommodation to participate in this proceeding should contact the community transportation coordinator as soon as possible at (904) 398-7939, or, if hearing impaired, 1-800-9558771 (TDD); or 1-800-955-8770 (V), via Florida Relay Service. T.K. Waters, Sheriff of Duval County, Florida

By: K.C. Thomas Deputy Sheriff Sep. 7/14/21/28 1 (23-05983D)

THIRD INSERTION

Mooradian Deputy Clerk

(Court Seal) Jennifer M. Scott

(813) 229-0900 x Kass Shuler, P.A. 1505 N. Florida Ave. Tampa, FL 33602-2613 ForeclosureService@kasslaw.com Sep. 7/14 10 (23-06075D)

SECOND INSERTION

IN THE CIRCUIT COURT, FOURTH JUDICIAL CIRCUIT, IN AND FOR DUVAL COUNTY FLORIDA CASE NO.: 16-2023-CP-002516

DIVISION: PR-A IN RE: ESTATE OF ANTHONY WAYNE CHESTNUT, Deceased.

NOTICE TO CREDITORS

If you have been served with a copy of this notice and you have any claim or demand against the decedent’s estate, even if that claim is unmatured, contingent, or unliquidated, you must file your claim with the court ON OR BEFORE THE LATER OF A DATE THAT IS 3 MONTHS AFTER THE FIRST PUBLICATION OF THIS NOTICE OR 30 DAYS AFTER YOU RECEIVE A COPY OF THIS NOTICE.

All other creditors of the decedent and other persons who have claims or demands against the decedent’s estate, including unmatured, contingent, or unliquidated claims, must file their claims with the court ON OR BEFORE THE DATE THAT IS 3 MONTHS AFTER THE FIRST PUBLICATION OF THIS NOTICE. ALL CLAIMS NOT FILED WITHIN THE PERIODS SET FORTH IN SECTION 733.302, FLORIDA STATUTES, WILL BE FOREVER BARRED.

EVEN IF A CLAIM IS NOT BARRED BY THE LIMITATIONS DESCRIBED ABOVE, ALL CLAIMS THAT HAVE NOT BEEN FILED WILL BE BARRED TWO YEARS AFTER DECEDENT’S DEATH.

The address of the court where this probate is pending is: 501 W. Adams Street, Jacksonville, FL 32202. The date of death of the decedent is: July 20, 2023. The date of first publication of this notice is: September 7, 2023.

Petitioner: Gabrielle Chestnut c/o Law Offices of Mark F. Moss, PLLC 12276 San Jose Blvd., Suite 520 Jacksonville, FL 32223

Attorney for Petitioner MARK F. MOSS, ESQ. Florida Bar Number: 119573

Law Offices of Mark F. Moss, PLLC 12276 San Jose Blvd., Suite 520 Jacksonville, FL 32223

Telephone: (904) 329-7242

E-Mail 1: Service@markmosslaw.com

E-Mail 2: mark@markmosslaw.com

Sep. 7/14 8 (23-06091D)

CASE NO: 16-2023-CP-002360 DIVISION: PR-A

IN RE: ESTATE OF AGNES D. WOLESHIN, Deceased. NOTICE TO CREDITORS

The administration of the estate of AGNES D. WOLESHIN, deceased, whose date of death was July 4, 2023, is pending in the Circuit Court, for Duval County, Florida, Probate Division, the address of which is 501 West Adams Street, Jacksonville, Florida, 32202. The names and addresses of the personal representative and the personal representative’s attorney are set forth below.

If you have been served with a copy of this notice and you have any claim or demand against the Decedent’s estate, even if that claim is unmatured, contingent or unliquidated, you must file your claim with the court ON OR BEFORE THE LATER OF A DATE THAT IS 3 MONTHS AFTER THE FIRST PUBLICATION OF THIS NOTICE OR 30 DAYS AFTER YOU RECEIVE A COPY OF THIS NOTICE.

All other creditors of the Decedent and other persons who have claims or demands against Decedent’s estate, including unmatured, contingent or unliquidated claims, must file their claims with the court ON OR BEFORE THE DATE THAT IS 3 MONTHS AFTER THE FIRST PUBLICATION OF THIS NOTICE.

ALL CLAIMS, DEMANDS AND OBJECTIONS NOT SO FILED WILL BE FOREVER BARRED. NOTWITHSTANDING THE TIME PERIOD SET FORTH ABOVE, ANY CLAIM FILED TWO (2) YEARS OR MORE AFTER THE DECEDENT’S DATE OF DEATH IS BARRED.

The date of first publication of this Notice is September 7, 2023.

Personal Representative: WADE PIERCE 118 Cline Street Concord, NC 28027

Attorney for Personal Representative:

ROBERT N. MILLER, ESQ. Florida Bar Number: 042102

Fisher, Tousey, Leas & Ball 501 Riverside Avenue, Suite 700 Jacksonville, FL 32202 Telephone: (904) 356-2600

E-Mail: RMiller@fishertousey.com

Sep. 7/14 1 (23-05988D)

SECOND INSERTION

IN THE CIRCUIT COURT OF THE FOURTH JUDICIAL CIRCUIT IN AND FOR DUVAL COUNTY, FLORIDA

GENERAL JURISDICTION

DIVISION

CASE NO. 16-2022-CA-000456

DIVISION: FC-D REVERSE MORTGAGE FUNDING LLC, Plaintiff, vs. THE UNKNOWN HEIRS, BENEFICIARIES, DEVISEES, GRANTEES, ASSIGNEES, LIENORS, CREDITORS, TRUSTEES AND ALL OTHERS WHO MAY CLAIM AN INTEREST IN THE ESTATE OF SAMMIE L. DAVIS, JR. A/K/A SAMMIE DAVIS, DECEASED; LATAVIA CHERRI WALKER; SERENA L. DAVIS; SAMUEL

L. DAVIS, SR.; DE’LAINA J. DAVIS; SYLVIA YOLANDA SCOTT, JR.; STATE OF FLORIDA, DEPARTMENT OF REVENUE; UNITED STATES OF AMERICA, ON BEHALF OF THE SECRETARY OF HOUSING AND URBAN DEVELOPMENT, et al.

Defendant(s)

NOTICE OF FORECLOSURE SALE

NOTICE IS HEREBY GIVEN pursuant to a Final Judgment of Foreclosure dated August 28, 2023, and entered in 16-2022CA-000456 of the Circuit Court of the FOURTH Judicial Circuit in and for DUVAL County, Florida, wherein REVERSE MORTGAGE FUNDING LLC is the Plaintiff and THE UNKNOWN HEIRS, BENEFICIARIES, DEVISEES, GRANTEES, ASSIGNEES, LIENORS, CREDITORS, TRUSTEES AND ALL OTHERS WHO MAY CLAIM AN INTEREST IN THE ESTATE OF SAMMIE

L. DAVIS, JR. A/K/A SAMMIE DAVIS, DECEASED; LATAVIA CHERRI WALKER; SERENA L. DAVIS; SAMUEL L. DAVIS, SR.; DE’LAINA J. DAVIS; SYLVIA YOLANDA SCOTT, JR.; STATE OF FLORIDA, DEPARTMENT OF REVENUE; UNITED STATES OF AMERICA, ON BEHALF OF THE SECRETARY OF HOUSING AND URBAN DEVELOPMENT are the Defendant(s). Jody Phillips as the Clerk of the Circuit Court will sell to the highest and best bidder for cash at: www.duval.realforeclose.com at 11:00 AM, on the 31st day of October, 2023 the following described property as set forth in said Final Judgment, to wit: PART OF LOT 3, ESTATE OF HENRY F. MASTERS, AS

IN THE CIRCUIT COURT OF THE FOURTH JUDICIAL CIRCUIT, IN AND FOR DUVAL COUNTY, FLORIDA CASE NO: 16-2023-DR-004059

DIVISION: FM-D ONUR SAHBUDAK, Petitioner, and SOPHIE SIERRA SAHBUDAK, Respondent. NOTICE OF ACTION FOR DISSOLUTION OF MARRIAGE (NO CHILD OR FINANCIAL SUPPORT)

TO: SOPHIE SIERRA SAHBUDAK 12643 Joda East Lane, Jacksonville, Florida 32258

YOU ARE NOTIFIED that an action for dissolution of marriage has been filed against you and that you are required to serve a copy of your written defenses, if any, to it on ONUR SAHBUDAK, whose address is 7990 Baymeadows Road East, Unit 814, Jacksonville, Florida 32258 on or before October 30, 2023, and file the original with the clerk of this court at 501 West Adams Street, Jacksonville, Florida 32202 before service on Petitioner or immediately thereafter. If you fail to do so, a default may be entered against you for the relief demanded in the petition.

The action is asking the court to decide how the following real or personal property should be divided: None Copies of all court documents in this case, including orders, are available at the Clerk of the Circuit Court’s office. You may review these documents upon request. You must keep the Clerk of the Circuit Court’s office notified of your current address. (You may file Designation of Current Mailing and E-Mail Address, Florida Supreme Court Approved Family Law Form 12.915.) Future papers in this lawsuit will be mailed or e-mailed to the address(es) on record at the clerk’s office.

WARNING: Rule 12.285, Florida Family Law Rules of Procedure, requires certain automatic disclosure of documents and information. Failure to comply can result in sanctions, including dismissal or striking of pleadings.

Dated: August 25, 2023.

JODY PHILLIPS CLERK OF THE CIRCUIT COURT

By: John Smith Deputy Clerk (Court Seal) Aug. 31, Sep. 7/14/21 30 (23-05697D)

OF DUVAL COUNTY, FLORIDA, MORE PARTICULARLY DESCRIBED AS FOLLOWS: COMMENCE AT THE INTERSECTION OF THE EASTERLY RIGHT OF WAY LINE OF POPE PLACE (A 60 FOOT R/W AS NOW ESTABLISHED) AND THE NORTHERLY RIGHT OF WAY LINE OF FRANCIS ROAD (A 66 FOOT R/W AS NOW ESTABLISHED); THENCE NORTH 24 DEGREES 40 MINUTES 00 SECONDS WEST ALONG SAID EASTERLY RIGHT OF WAY LINE, 500.00 FEET TO THE POINT OF BEGINNING; THENCE CONTINUE NORTH 24 DEGREES 40 MINUTES 00 SECONDS WEST ALONG SAID EASTERLY RIGHT OF WAY LINE, 70.00 FEET;’THENCE NORTH 65 DEGREES 36 MINUTES 00 SECONDS EAST, 110.00 FEET; THENCE SOUTH 24 DEGREES 40 MINUTES 00 SECONDS EAST, 70.00 FEET; THENCE SOUTH 65 DEGREES 36 MINUTES 00 SECONDS WEST, 110.00 FEET TO THE POINT OF BEGINNING.

Property Address: 6165 POPE PLACE JACKSONVILLE, FL 32209

Any person claiming an interest in the surplus from the sale, if any, other than the property owner as of the date of the lis pendens must file a claim in accordance with Florida Statutes, Section 45.031. Americans With Disabilities Act (ADA) Notice

In accordance with the Americans with Disabilities Act of 1990 (ADA),

If you are a person with a disability who needs any accommodation in order to participate in this proceeding, you are entitled at no cost to you, to the provision of certain assistance. Please contact the ADA Coordinator at crtintrp@coj.net or (904) 2551695 at least 7 days before your scheduled court appearance, or immediately upon receiving this notification if the time before the scheduled appearance is less than 7 days; if you are hearing or voice impaired, call 711.

Dated this 5th day of September, 2023. JODY PHILLIPS As Clerk of the Court

By: Tonya Mooradian As Deputy Clerk (Court Seal)

Attorneys for Plaintiff Robertson, Anschutz, Schneid, Crane & Partners, PLLC, Boca Raton, FL 33487 Telephone: 561-241-6901

Fax: 561-997-6909

21-126667 -AsB Sep. 7/14 8 (23-06081D)

SECOND INSERTION

IN THE CIRCUIT COURT OF THE FOURTH JUDICIAL CIRCUIT IN AND FOR DUVAL COUNTY, FLORIDA GENERAL JURISDICTION

DIVISION CASE NO. 16-2023-CA-000836

DIVISION: FC-A LONGBRIDGE FINANCIAL, LLC, Plaintiff, vs. EARL ROLAND NORRIS, JR.; UNKNOWN SPOUSE OF EARL ROLAND NORRIS, JR. N/K/A MARY NORRIS; ANGELA FOURAKER; UNKNOWN SPOUSE OF ANGELA FOURAKER N/K/A MARSHALL FOURAKER; DEBORAH NORRIS RANDALLS; UNKNOWN SPOUSE OF DEBORAH NORRIS RANDALLS; THE UNITED STATES OF AMERICA ACTING ON BEHALF OF THE SECRETARY OF HOUSING AND URBAN DEVELOPMENT, et al. Defendant(s).

NOTICE OF FORECLOSURE SALE NOTICE IS HEREBY GIVEN pursuant to a Final Judgment of Foreclosure dated August 28, 2023, and entered in 16-2023CA-000836, of the Circuit Court of the FOURTH Judicial Circuit in and for DUVAL County, Florida, wherein BANK OF NEW YORK MELLON TRUST COMPANY, N.A. AS TRUSTEE FOR MORTGAGE ASSETS MANAGEMENT SERIES I TRUST is the Plaintiff and EARL ROLAND NORRIS, JR; UNKNOWN SPOUSE OF EARL ROLAND NORRIS, JR. N/K/A MARY NORRIS; ANGELA FOURAKER; UNKNOWN SPOUSE OF ANGELA FOURAKER N/K/A MARSHALL FOURAKER; DEBORAH NORRIS RANDALLS; UNKNOWN SPOUSE OF DEBORAH NORRIS RANDALLS; THE UNITED STATES OF AMERICA ACTING ON BEHALF OF THE SECRETARY OF HOUSING AND URBAN DEVELOPMENT are the Defendant(s). Jody Phillips as the Clerk of the Circuit Court will sell to the highest and best bidder for cash at: www.duval.realforeclose.com at 11:00 AM, on the 30th day of October 2023 the following described property as set forth in said Final Judgment, to wit: A FRACTIONAL PART OF SECTION 15 OF A SUBDIVISION OF THE JOHN BROWARD GRANT, SECTION 46, TOWNSHIP 1 SOUTH, RANGE 27 EAST, DUVAL COUNTY, FLORIDA AND MORE PARTICULARLY DESCRIBED AS FOLLOWS: COMMENCE

AT THE INTERSECTION OF T HE SOUTHERLY LINE OF NOAH ROAD (A 60 FOOT RIGHT OF WAY) AND THE WESTERLY LINE OF PULASKI ROAD (A 60 FOOT RIGHT OF WAY) THENCE SOUTHERLY ALONG SAID WESTERLY LINE A DISTANCE OF 244 FEET, THENCE WESTERLY AND PARALLEL TO SAID NOAH ROAD A DISTANCE OF 280 FEET TO AN IRON PIPE AND POINT OF BEGINNING, THENCE CONTINUE WESTERLY AND PARALLEL TO NOAH ROAD A DISTANCE OF 140 FEET TO AN IRON PIPE, THENCE NORTHERLY AND PARALLEL TO SAID PULASKI ROAD, A DISTANCE OF 122 FEET TO AN IRON PIPE THENCE EASTERLY AND PARALLEL TO SAID NOAH ROAD A DISTANCE OF 140 FEET TO AN IRON PIPE THENCE SOUTHERLY AND PARALLEL TO SAID PULASKI ROAD A DISTANCE OF 122 FEET TO THE POINT OF BEGINNING. Property Address: 1135 REGIS RD JACKSONVILLE, FL 32218

Any person claiming an interest in the surplus from the sale, if any, other than the property owner as of the date of the lis pendens must file a claim in accordance with Florida Statutes, Section 45.031. Americans With Disabilities Act (ADA) Notice

In accordance with the Americans with Disabilities Act of 1990 (ADA),

If you are a person with a disability who needs any accommodation in order to participate in this proceeding, you are entitled at no cost to you, to the provision of certain assistance. Please contact the ADA Coordinator at crtintrp@coj.net or (904) 2551695 at least 7 days before your scheduled court appearance, or immediately upon receiving this notification if the time before the scheduled appearance is less than 7 days; if you are hearing or voice impaired, call 711.

Dated this 5th day of September, 2023. JODY PHILLIPS As Clerk of the Court

By: Tonya Mooradian As Deputy Clerk (Court Seal) Attorneys for Plaintiff Robertson, Anschutz, Schneid, Crane & Partners, PLLC, Boca Raton, FL 33487 Telephone: 561-241-6901 Fax: 561-997-6909 22-073446 -

(23-06078D)

16B THURSDAY, SEPTEMBER 14, 2023 JACKSONVILLE DAILY RECORD
SECOND INSERTION
RECORDED IN PLAT BOOK 13 PAGE 85 OF THE CURRENT PUBLIC RECORDS
AsB Sep. 7/14 8
View Public Notices Free Online! Get free searchable web access, when you subscribe to the Daily Record in print. Call 904.356.2466 or go to www.jaxdailyrecord.com/subscribe DUVAL CLAY NASSAU ST. JOHNS COUNTIES

PUBLIC NOTICES DUVAL COUNTY • SUBSEQUENT INSERTIONS

FOURTH INSERTION

IN THE CIRCUIT COURT OF THE FOURTH JUDICIAL CIRCUIT, IN AND FOR DUVAL COUNTY, FLORIDA

Case No:

16-2022-DR-005477-FM

Division: FM-D

THIRD INSERTION

IN THE CIRCUIT COURT OF THE FOURTH JUDICIAL CIRCUIT, IN AND FOR DUVAL COUNTY, FLORIDA

Case No.: 16-2023-CA-009584

Division: CV-A

SECOND INSERTION

Notice of Lien Sale

THIRD INSERTION

Nathalie

Respondent, NOTICE OF ACTION FOR DISSOLUTION OF MARRIAGE (NO CHILD OR FINANCIAL SUPPORT)

TO: Terrance Craig Thompson 2410 E 4th Ave Tampa, FL 33605

YOU ARE NOTIFIED that an action for dissolution of marriage has been filed against you and that you are required to serve a copy of your written defenses, if any, to it on Nathalie Chase Thompson, whose address is 6817 W Virginia Ave, Jacksonville, FL 32209 on or before October 9, 2023, and file the original with the clerk of this Court at 501 W. Adams St, Jacksonville, FL 32202, Rm 1191 before service on Petitioner or immediately thereafter. If you fail to do so, a default may be entered against you for the relief demanded in the petition.

The action is asking the court to decide how the following real or personal property should be divided: NONE

Copies of all court documents in this case, including orders, are available at the Clerk of the Circuit Court’s office. You may review these documents upon request.

You must keep the Clerk of the Circuit Court’s office notified of your current address. (You may file Designation of Current Mailing and E-Mail Address, Florida Supreme Court Approved Family Law Form 12.915.) Future papers in this lawsuit will be mailed or e-mailed to the address(es) on record at the clerk’s office.

WARNING: Rule 12.285, Florida Family Law Rules of Procedure, requires certain automatic disclosure of documents and information. Failure to comply can result in sanctions, including dismissal or striking of pleadings.

Dated: August 23, 2023.

JODY PHILLIPS CLERK OF THE CIRCUIT COURT

TROY WAYNE RAY and LUANN RAY AUSTELL, Plaintiffs, Vs., THE ESTATE OF EDWARD GUSTAFSON

Defendant NOTICE OF ACTION FOR QUIET TITLE

TO: The Estate of Edward Gustafson, his heirs and representatives Unknown

YOU ARE NOTIFIED that an action has been filed against you and the property that is the subject matter of this action is in Duval County, Florida, and is described as follows:

Lot Four (4) Block Ten (10) in Oceanway, a subdivision in Duval County, Florida, as the same appears of record on map and survey of said Oceanway and filed for record in the office of the Clerk of the Circuit Court in Book 11, Page 49, Public Records of Duval County, Florida. Parcel ID: 107450-0000. and that you are required to serve a copy of your written defenses, if any, to it on Marcella A. Taylor, whose address is 731 Duval Station Road, Suite 107-183, Jacksonville, FL 32218 on or before October 27, 2023 and file the original with the clerk of this Court at 501 W. Adams St., Jacksonville, FL 32202, before service on Petitioner or immediately thereafter. If you fail to do so, a default may be entered against you for the relief demanded in the petition.

Copies of all court documents in this case, including orders, are available at the Clerk of the Circuit Court’s office. You may review these documents upon request.

You must keep the Clerk of the Circuit Court’s office notified of your current address. Future papers in this lawsuit will be mailed or emailed to the addresses on record at the clerk’s office.

Dated: August 23, 2023. JODY PHILLIPS CLERK OF THE CIRCUIT COURT

Pursuant to the lien granted by the Florida Self-storage Facility Act, Dunn Avenue Storage Zone Self Storage and Business Centers will sell at public auction on 27 September, 2023 personal property belonging to the following tenants to the highest bidder. The sale shall be held at Dunn Avenue Storage Zone, 1435 Dunn Ave, Jacksonville, FL, 32218, 904751-1351, commencing at approximately 10 AM. All sales are subject to prior cancellation. Sale rules and regulations are available at the time of Auction. All units containing household goods.

Taylor, Felicia – A01 Fuller, Morgan – A75

Hodges, Kathryn Leigh – D37 Adams, Kristina – K02 Bing, Beyonce – K07 Kelsey, Shaneca – L01 Patterson, Cynthia – L17 Perez, Darrel – M17 White, Michelle – M25

McCormick, Cherita – Q10 Blair, Tianne – Q22

Ruffin, Cardarious – R19

Davenport, Donna – R49

Stewart, James – T10

Jones, Martin – T17

Taylor, Sandra – U05

Smith, James – V07

Fields, Jim – W10

Mack, Dwayne Christopher –W14 Sep. 7/14 9 (23-06070D)

SECOND INSERTION

IN THE CIRCUIT COURT OF THE FOURTH JUDICIAL CIRCUIT IN AND FOR DUVAL COUNTY, FLORIDA GENERAL JURISDICTION

DIVISION

CASE NO. 16-2022-CA-001428

DIVISION: FC-G

SPECIALIZED LOAN SERVICING LLC, Plaintiff, vs. HUGH JASON MATTOX; KELLY L. MATTOX; THE VENETIAN ON THE ORTEGA LUXURY CONDOMINIUM ASSOCIATION, INC., et al. Defendant(s).

NOTICE OF FORECLOSURE SALE

PAGE 1704, OF THE PUBLIC RECORDS OF DUVAL COUNTY, FLORIDA, AND ALL AMENDMENTS THERETO, TOGETHER WITH ITS UNDIVIDED SHARE IN THE COMMON ELEMENTS.

Property Address: 5375 ORTEGA FARMS BLVD, BUILDING C2, UNIT 52 (AKA UNIT 505) JACKSONVILLE, FL 32210

Any person claiming an interest in the surplus from the sale, if any, other than the property owner as of the date of the lis pendens must file a claim in accordance with Florida Statutes, Section 45.031.

IN THE CIRCUIT COURT, FOURTH JUDICIAL CIRCUIT, IN AND FOR DUVAL COUNTY, FLORIDA CASE NO.: 16-2023-DR-005923

DIVISION: FM-C

IN RE: THE MARRIAGE OF CHADI EL RAHI, Petitioner, and, ROBERTA DAMIAN, Respondent.

NOTICE OF ACTION FOR DISSOLUTION OF MARRIAGE (NO CHILD OR FINANCIAL SUPPORT)

TO: Roberta Damian Unknown address

YOU ARE NOTIFIED that an action for dissolution of marriage has been filed against you and that you are required to serve a copy of your written defenses, if any, to it on Robert H. Wood, Esquire whose address is 4321 Roosevelt Blvd. Jacksonville, Florida 32210 on or before October 12, 2023, and file the original with the clerk of this Court at Duval County Courthouse, 501 West Adams Street, Jacksonville, Florida 32202, before service on Petitioner or immediately thereafter. If you fail to do so, a default may be entered against you for the

relief demanded in the petition.

The action is asking the court to decide how the following real or personal property should be divided: None

Copies of all court documents in this case, including orders, are available at the Clerk of the Circuit Court’s office. You may review these documents upon request. You must keep the Clerk of the Circuit Court’s office notified of your current address. (You may file Designation of Current Mailing and E-Mail Address, Florida Supreme Court Approved Family Law Form 12.915.) Future papers in this lawsuit will be mailed or e-mailed to the address(es) on record at the clerk’s office.

WARNING: Rule 12.285, Florida Family Law Rules of Procedure, requires certain automatic disclosure of documents and information. Failure to comply can result in sanctions, including dismissal or striking of pleadings.

Dated: August 28, 2023.

JODY PHILLIPS CLERK OF THE CIRCUIT COURT

By: Monet Wheatly-Phillip Deputy Clerk (Court Seal) Aug. 31, Sep. 7/14/21 31 (23-05728D)

SECOND INSERTION

IN THE CIRCUIT COURT OF THE FOURTH JUDICIAL CIRCUIT IN AND FOR DUVAL COUNTY, FLORIDA GENERAL JURISDICTION

RECORDED IN PLAT BOOK 66, PAGE 115 THROUGH 123, OF THE PUBLIC RECORDS OF DUVAL COUNTY, FLORIDA.

DIVISION

By:

Aug. 24/31,

Boales Deputy Clerk (Court Seal)

Sep. 7/14 27 (23-05603D)

IN THE CIRCUIT COURT OF THE FOURTH JUDICIAL CIRCUIT IN AND FOR DUVAL COUNTY, FLORIDA GENERAL JURISDICTION DIVISION

CASE NO. 16-2022-CA-005200

DIVISION: FC-E

U.S. BANK NATIONAL ASSOCIATION, AS TRUSTEE FOR LEHMAN XS TRUST MORTGAGE PASS-THROUGH CERTIFICATES, SERIES 2007-16N, Plaintiff, vs. PNC BANK, N.A. SUCCESSOR BY MERGER TO NATIONAL CITY BANK; THE UNKNOWN

HEIRS, BENEFICIARIES, DEVISEES, GRANTEES, ASSIGNEES, LIENORS, CREDITORS, TRUSTEES AND ALL

OTHERS WHO MAY CLAIM AN INTEREST IN THE ESTATE OF MARY C. JOHNSON A/K/A

MARY JOHNSON A/K/A

MOLLY C. JOHNSON A/K/A

MOLLY JOHNSON A/K/A

MARY CECILIA JOHNSON

A/K/A MARY CECILIA JOOS

JOHNSON, DECEASED; THE UNKNOWN HEIRS, BENEFICIARIES, DEVISEES, GRANTEES, ASSIGNEES, LIENORS, CREDITORS, TRUSTEES AND ALL OTHERS WHO MAY CLAIM AN INTEREST IN THE ESTATE OF CHRISTOPHER LEE JOHNSON; MATTHEW JOHNSON; NICHOLAS JOHNSON; JULIE FRANKEN; JENNIFER RANKIN, et al.

Defendant(s).

NOTICE OF FORECLOSURE SALE

NOTICE IS HEREBY GIVEN

pursuant to a Final Judgment of Foreclosure dated August 28, 2023, and entered in 16-2022CA-005200 of the Circuit Court of the FOURTH Judicial Circuit in and for DUVAL County, Florida, wherein U.S. BANK NATIONAL ASSOCIATION, AS TRUST-

EE FOR LEHMAN XS TRUST

MORTGAGE PASS-THROUGH

CERTIFICATES, SERIES 2007-

16N is the Plaintiff and PNC

BANK, N.A. SUCCESSOR BY MERGER TO NATIONAL CITY

BANK; THE UNKNOWN HEIRS, BENEFICIARIES, DEVISEES, GRANTEES, ASSIGNEES, LIENORS, CREDITORS, TRUSTEES AND ALL OTHERS WHO MAY CLAIM AN INTEREST IN THE ESTATE OF MARY C. JOHN-

SON A/K/A MARY JOHNSON

A/K/A MOLLY C. JOHNSON

A/K/A MOLLY JOHNSON

A/K/A MARY CECILIA JOHNSON A/K/A MARY CECILIA

Deputy Clerk (Court Seal) Aug. 31, Sep. 7/14/21 31 (23-05640D)

JOOS JOHNSON, DECEASED; THE UNKNOWN HEIRS, BENEFICIARIES, DEVISEES, GRANTEES, ASSIGNEES, LIENORS, CREDITORS, TRUSTEES AND ALL OTHERS WHO MAY CLAIM AN INTEREST IN THE ESTATE OF CHRISTOPHER

LEE JOHNSON; MATTHEW JOHNSON; NICHOLAS JOHNSON; JULIE FRANKEN; JENNIFER RANKIN are the Defendant(s). Jody Phillips as the Clerk of the Circuit Court will sell to the highest and best bidder for cash at: www.duval.realforeclose.com at 11:00 AM, on the 1st day of November 2023 the following described property as set forth in said Final Judgment, to wit: LOT 12, BLOCK 108, SAN MARCO BETTER HOMES COMPANYS FIRST ADDITION, ACCORDING TO THE PLAT THEREOF AS RECORDED IN MAP BOOK 14, PAGE(S) 20 AND 21, OF THE PUBLIC RECORDS OF DUVAL COUNTY, FLORIDA.

Property Address: 1122 MARCO PL JACKSONVILLE, FL 32207

Any person claiming an interest in the surplus from the sale, if any, other than the property owner as of the date of the lis pendens must file a claim in accordance with Florida Statutes, Section 45.031. Americans With Disabilities Act (ADA) Notice

In accordance with the Americans with Disabilities Act of 1990 (ADA),

If you are a person with a disability who needs any accommodation in order to participate in this proceeding, you are entitled at no cost to you, to the provision of certain assistance.

Please contact the ADA Coordinator at crtintrp@coj.net or (904) 2551695 at least 7 days before your scheduled court appearance, or immediately upon receiving this notification if the time before the scheduled appearance is less than 7 days; if you are hearing or voice impaired, call 711.

Dated this 5th day of September, 2023. JODY PHILLIPS As Clerk of the Court

(Court Seal)

Attorneys for Plaintiff Robertson, Anschutz, Schneid, Crane & Partners, PLLC, Boca Raton, FL 33487 Telephone: 561-241-6901

Fax: 561-997-6909

NOTICE IS HEREBY GIVEN pursuant to a Final Judgment of Foreclosure dated August 28, 2023 and entered in 16-2022-CA001428 of the Circuit Court of the FOURTH Judicial Circuit in and for DUVAL County, Florida, wherein SPECIALIZED LOAN SERVICING LLC is the Plaintiff and HUGH JASON MATTOX; KELLY L. MATTOX; THE VENETIAN ON THE ORTEGA LUXURY CONDOMINIUM ASSOCIATION, INC. are the Defendant(s). Jody Phillips as the Clerk of the Circuit Court will sell to the highest and best bidder for cash at: www.duval.realforeclose.com

at 11:00 AM, on January 11, 2024, the following described property as set forth in said Final Judgment, to wit:

UNIT NO. 52 BUILDING

C2 THE VENETIAN ON THE ORTEGA, LUXURY CONDOMINIUMS, A CONDOMINIUM ACCORDING TO THE DECLARATION OF CONDOMINIUM THEREOF RECORDED IN OFFICIAL RECORDS BOOK 12038,

IN THE CIRCUIT COURT OF THE FOURTH JUDICIAL CIRCUIT, IN AND FOR DUVAL COUNTY, FLORIDA CIVIL DIVISION CASE NO: 16-2023-CA-000994 Division: FC-A WILMINGTON SAVINGS FUND SOCIETY, FSB, D/B/A CHRISTIANA TRUST AS TRUSTEE FOR PNPMS TRUST

I, Plaintiff, vs. DONNA C GRIFFIN; UNKNOWN SPOUSE OF DONNA C GRIFFIN; SPRINGTREE VILLAGE OF JACKSONVILLE OWNERS ASSOCIATION, INC.; UNKNOWN TENANT #1 AND UNKNOWN TENANT#2 Defendants.

NOTICE OF FORECLOSURE SALE

NOTICE IS HEREBY GIVEN pursuant to Final Judgment of Foreclosure date the 25th, day of August 2023, and entered in Case No. 16-2023-CA-000994, of the Circuit Court of the 4TH Judicial Circuit in and for Duval County, Florida, wherein WILMINGTON SAVINGS FUND SOCIETY, FSB, D/B/A CHRISTIANA TRUST AS TRUSTEE FOR PNPMS TRUST

I, is the Plaintiff and DONNA C GRIFFIN; SPRINGTREE VILLAGE OF JACKSONVILLE OWNERS ASSOCIATION, INC are the defendants. The Clerk of this Court shall sell to the highest and best bidder for cash electronically at: www.duval.realforeclose.com in accordance with Chapter 45, Florida Statutes at, 11 :00 AM on the 9th day of October, 2023, the following described property as set forth in said Final Judgment, to wit: LOT 78, SPRINGTREE VIL-

Americans With Disabilities Act (ADA) Notice

In accordance with the Americans with Disabilities Act of 1990 (ADA), If you are a person with a disability who needs any accommodation in order to participate in this proceeding, you are entitled at no cost to you, to the provision of certain assistance. Please contact the ADA Coordinator at crtintrp@coj.net or (904) 2551695 at least 7 days before your scheduled court appearance, or immediately upon receiving this notification if the time before the scheduled appearance is less than 7 days; if you are hearing or voice impaired, call 711.

Dated this 5th day of September, 2023.

JODY PHILLIPS As Clerk of the Court

As Deputy Clerk (Court Seal)

Robertson, Anschutz, Schneid, Crane & Partners, PLLC Attorneys for Plaintiff 6409 Congress Ave., Suite 100, Boca Raton, FL 33487 Telephone: 561-241-6901 Fax: 561-997-6909 22-005305 - AsB Sep. 7/14 9 (23-06077D)

BOOK 57, PAGE 46, 46A OF THE CURRENT PUBLIC RECORDS OF DUVAL COUNTY FLORIDA.

PROPERTY ADDRESS: 8699 TRISTAN DR, JACKSONVILLE, FL 32210 ANY PERSON CLAIMING AN INTEREST IN THE SURPLUS FROM THE SALE, IF ANY, OTHER THAN THE PROPERTY OWNER AS OF THE DATE. OF THE LIS PENDENS MUST FILE A CLAIM WITH THE CLERK BEFORE THE CLERK REPORTS THE SURPLUS AS UNCLAIMED.

Americans With Disabilities Act (ADA) Notice

In accordance with the Americans with Disabilities Act of 1990 (ADA), If you are a person with a disability who needs any accommodation in order to participate in this proceeding, you are entitled at no cost to you, to the provision of certain assistance.

Please contact the ADA Coordinator at crtintrp@coj.net or (904) 2551695 at least 7 days before your scheduled court appearance, or immediately upon receiving this notification if the time before the scheduled appearance is less than 7 days; if you are hearing or voice impaired, call 711. Dated this 5th day of September, 2023. JODY PHILLIPS Clerk of the Circuit Court

(Court Seal)

DELUCA LAW GROUP, PLLC

Attorney for the Plaintiff 2101 NE 26th Street Fort Lauderdale, FL 33305

Phone: (954) 368-1311

Fax: (954) 200-8649

CASE NO. 16-2022-CA-004912

DIVISION: FC-H

U.S. BANK NATIONAL ASSOCIATION, Plaintiff, vs. CHILA DENICE SMITH; UNKNOWN SPOUSE OF CHILA DENICE SMITH; WESTPORT VILLAGES PROPERTY OWNERS ASSOCIATION, INC., et al.

Defendant(s). NOTICE OF FORECLOSURE SALE NOTICE IS HEREBY GIVEN pursuant to a Final Judgment of Foreclosure dated August 28, 2023, and entered in 16-2022CA-004912 of the Circuit Court of the FOURTH Judicial Circuit in and for DUVAL County, Florida, wherein U.S. BANK NATIONAL ASSOCIATION is the Plaintiff and CHILA DENICE SMITH; UNKNOWN SPOUSE OF CHILA DENICE SMITH; WESTPORT VILLAGES PROPERTY OWNERS ASSOCIATION, INC. are the Defendant(s). Jody Phillips as the Clerk of the Circuit Court will sell to the highest and best bidder for cash at: www.duval.realforeclose.com at 11:00 AM, on the 2nd day of November, 2023 the following described property as set forth in said Final Judgment, to wit: LOT 341, VILLAGES OF WESTPORT - PHASE 2, AS PER PLAT THEREOF,

Property Address: 6901 LANGFORD STREET JACKSONVILLE, FL 32219

Any person claiming an interest in the surplus from the sale, if any, other than the property owner as of the date of the lis pendens must file a claim in accordance with Florida Statutes, Section 45.031. Americans With Disabilities Act (ADA) Notice

In accordance with the Americans with Disabilities Act of 1990 (ADA), If you are a person with a disability who needs any accommodation in order to participate in this proceeding, you are entitled at no cost to you, to the provision of certain assistance. Please contact the ADA Coordinator at crtintrp@coj.net or (904) 2551695 at least 7 days before your scheduled court appearance, or immediately upon receiving this notification if the time before the scheduled appearance is less than 7 days; if you are hearing or voice impaired, call 711.

Dated this 5th day of September, 2023. JODY PHILLIPS

As Clerk of the Court

By: Tonya Mooradian As Deputy Clerk (Court Seal) Attorneys for Plaintiff Robertson, Anschutz, Schneid, Crane & Partners, PLLC, Boca Raton, FL 33487 Telephone: 561-241-6901 Fax: 561-997-6909 22-056062 - AsB Sep. 7/14 9 (23-06079D)

SECOND INSERTION

IN THE CIRCUIT COURT OF THE FOURTH JUDICIAL CIRCUIT IN AND FOR DUVAL COUNTY, FLORIDA GENERAL JURISDICTION DIVISION CASE NO. 16-2023-CA-000862 DIVISION: FC-G

FINANCE OF AMERICA REVERSE LLC, Plaintiff, vs. BILLY WADE STEVENSON; BARBARA C. STEVENSON; UNITED STATES OF AMERICA, ACTING ON BEHALF OF THE SECRETARY OF HOUSING AND URBAN DEVELOPMENT, et al.

Defendant(s) NOTICE OF FORECLOSURE SALE

NOTICE IS HEREBY GIVEN pursuant to a Final Judgment of Foreclosure dated August 28, 2023, and entered in 16-2023CA-000862 of the Circuit Court of the FOURTH Judicial Circuit in and for DUVAL County, Florida, wherein FINANCE OF AMERICA REVERSE LLC is the Plaintiff and BILLY WADE STEVENSON; BARBARA C. STEVENSON; UNITED STATES OF AMERICA, ACTING ON BEHALF OF THE SECRETARY OF HOUSING AND URBAN DEVELOPMENT are the Defendant(s). Jody Phillips as the Clerk of the Circuit Court will sell to the highest and best bidder for cash at: www.duval.realforeclose.com at 11:00 AM, on the 2nd day of November, 2023 the following described property as set forth in said Final Judgment, to wit: LOT 14, BLOCK 23, LAKE LUCINA, UNIT 8, AS SHOWN ON PLAT OF RECORD IN PLAT BOOK

(23-06083D)

26, PAGE 55 AND 55A, IN THE PUBLIC RECORDS OF DUVAL COUNTY, FLORIDA, TO WHICH PLAT REFERENCE IS HEREBY MADE FOR A MORE PARTICULAR DESCRIPTION OF SAID PROPERTY.

Property Address: 6221 ASHWOOD LANE JACKSONVILLE, FL 32277

Any person claiming an interest in the surplus from the sale, if any, other than the property owner as of the date of the lis pendens must file a claim in accordance with Florida Statutes, Section 45.031. Americans With Disabilities Act (ADA) Notice

In accordance with the Americans with Disabilities Act of 1990 (ADA),

If you are a person with a disability who needs any accommodation in order to participate in this proceeding, you are entitled at no cost to you, to the provision of certain assistance. Please contact the ADA Coordinator at crtintrp@coj.net or (904) 2551695 at least 7 days before your scheduled court appearance, or immediately upon receiving this notification if the time before the scheduled appearance is less than 7 days; if you are hearing or voice impaired, call 711.

Dated this 5th day of September, 2023.

JODY PHILLIPS As Clerk of the Court

By: Tonya Mooradian As Deputy Clerk (Court Seal) Attorneys for Plaintiff Robertson, Anschutz, Schneid, Crane & Partners, PLLC, Boca Raton, FL 33487 Telephone: 561-241-6901 Fax: 561-997-6909 23-091243 - SuB

(23-06080D)

18B THURSDAY, SEPTEMBER 14, 2023 JACKSONVILLE DAILY RECORD
LAGE UNIT SIX, ACCORDING TO THE PLAT THEREOF AS RECORDED IN PLAT
PRIMARY E-MAIL FOR SERVICE PURSUANT TO FLA. R. JUD. ADMIN 2.516 service@delucalawgroup.com Sep. 7/14 9 (23-06074D) SECOND INSERTION
DESIGNATED
Sep. 7/14 9
22-045188
AsB Sep. 7/14 11
SECOND INSERTION
-

FOURTH INSERTION

Auction of General Household & Commercial Goods Town Center Storage, Inc. (904) 404-5000 at 12 Noon on Monday Sept. 18th, 2023

Ariana Quintero#109, Tiffany Dent#1131, Kisya Johnson#145, Andrea Bell#151, Crystal Francis#16, Natia Novak#183, Ronald Vereen#187, Sandria Anderson#192, David Lofton#205, Xyreah Pearson#2062, Adesina Adefunmi#2072, Melissa Capelli#2084, Traci Brookbank#2091, Traci Brookbank#2096, Tsianina Smith#2134, Raymond Reed#2138, David Lofton#221, Marie Monger#256, Marie Monger#257, Cardal Barron#258, Ericka Watson#3011, Larrecia Banks#3117, Ashleigh Dancil#3118, Melissa Hopkins#3125, Xavier Anderson#3138, Denise Reese#3139, Maria Ruiz#3187, Kimberly Turner#3214, Paul Jackson#45, Mary Peters#91 Florida Statute #83.806, JMA Auctioneers, Inc. AB2314, AU1139 Terms of Sale: Cash, 15% Buyer Premium.

Aug. 24/31,

Sep. 7/14 29 (23-05467D)

FOURTH INSERTION

Auction of General Household & Commercial Goods

Argyle Forest Self Storage, 6648 Youngerman Circle, Jacksonville, FL 32244, (904)771-1600

10:00AM Monday, September

18th, 2023 Vatroni Reed SRX Cadillac VIN

3GYFNAEY6A3577622 Parking Space 14, , Katrina Dooley A108, Samantha Chaapel A302, Tytianna Harrell A311, Victor Hatcher A312, Brian Thomas A317, Raykell Williams A325, Cassandra Hillhouse A436, Austin Martin A517, Tytianna Harrell A528, Sophia Washington B103, Keith Moss C043, Tennille Major C061, Elizabeth Marcelletti C064, Roland Martin C093, Melissa Ann Hines

C142, Tabitha Wright C143, Don Bazan C146, Emanuel Waynns

C204, Bradley Aaron Drew F108, Karen Sue Hunt F111, Nancy Lee lane F212, Arla Lawson G306, Danielle Swatt H208, Roy Stevens H516, Dean Shaw I103, Toby Cook I116, Lafaryn Jones Abdullah I209 Florida Statute #83.806, JMA

Auctioneers, Inc. AB2314, AU1139

Terms of Sale: Cash, 15% Buyer

Premium

Aug. 24/31,

Sep. 7/14 29 (23-05466D)

THIRD INSERTION

IN THE CIRCUIT COURT OF THE FOURTH JUDICIAL CIRCUIT, IN AND FOR DUVAL COUNTY, FLORIDA.

Case No.: 16-2023-DP-000188-A

Division: JV-B

IN THE INTEREST OF:

B.N.W., aka B.W., DOB: 12/24/19, A CHILD.

SUMMONS AND NOTICE OF ACTION BY PUBLICATION

THE STATE OF FLORIDA

TO: Brandy Watson, Mother

Last Known Address 7350 Blanding Blvd., #113 Jacksonville, FL 32244

YOU ARE HEREBY NOTIFIED that a Petition has been filed in the above-styled Court by the FLORIDA DEPARTMENT OF CHILDREN AND FAMILIES for termination of parental rights and permanent commitment for subsequent adoption of the above-named child. A copy of the Petition is located in the court file. You are hereby commanded to appear at the hour of 1:00 P.M. o’clock on October 23, 2023, before the Honorable Michael Kalil at the Duval County Courthouse, Courtroom 204, 501 West Adams Street, Jacksonville, Florida 32202. You must appear at the hearing on the date and time specified.

YOUR FAILURE TO PER-

SONALLY APPEAR AT THIS ADVISORY HEARING CONSTITUTES CONSENT TO THE DEPENDENCY AND TERMINATION OF PARENTAL RIGHTS OF THIS CHILD AND THAT YOUR CHILD MAY BE

PERMANENTLY COMMITTED TO THE DEPARTMENT FOR SUBSEQUENT ADOPTION. IF YOU FAIL TO APPEAR ON THE DATE AND TIME SPECIFIED, YOU MAY LOSE ALL LEGAL RIGHTS AS A PARENT TO THE CHILD NAMED IN THE PETITION IN THE COURT FILE.

Pursuant to §39.802(4)(d) and §63.082(6)(g), Florida Statutes (2023), you are hereby informed of the availability of private placement with an adoption entity as defined in §63.032(3), Florida Statutes (2023).

Individuals with disabilities needing a reasonable accommodation to participate in this proceeding should contact the Clerk of the Court, as soon as possible, telephone (904) 255-2000 or if hearing impaired, 1-800-9558771-(TDD); or 1800-955-8770 (V) Florida Relay Service.

WITNESS my hand as clerk of said Court and the Seal thereof, this 25th day of August, 2023.

JODY PHILLIPS, as Clerk of Said Court

As Deputy Clerk (Court Seal)

W. Dekle Day, Attorney Florida Bar No.:334715

ATTORNEY FOR CLSFLORIDA DEPARTMENT OF CHILDREN AND FAMILIES 5920 Arlington Expressway, Suite 337, Jacksonville, FL 32211, 904.502.5928 wdekle.day@myflfamilies.com, Michelle.Conner@ myflfamilies.com

Aug. 31, Sep. 7/14/21 31 (23-05670D)

THIRD INSERTION IN THE CIRCUIT COURT, FOURTH JUDICIAL CIRCUIT, IN AND FOR DUVAL COUNTY, FLORIDA

CASE NO.: 16-2023-CA-010107

DIVISION: CV-C

EUNICE BARNUM AS

PERSONAL REPRESENTATIVE OF THE ESTATE OF ENOCH

YISREAL, Plaintiff,

Vs. MARCUS ANTHONY and any unknown spouse, heirs, beneficiaries, legatees, devisees, grantees, creditors, assigns of MARCUS ANTHONY; and any other claimants, by through or under MARCUS ANTHONY Defendants.

NOTICE OF ACTION

TO: MARCUS ANTHONY and any unknown spouse, heirs, beneficiaries, legatees, devisees, grantees, creditors, assigns of MARCUS ANTHONY; and any other claimants, claiming by or through them, if alive or dead and if dead or not known to be dead or alive, their several and respective unknown spouse, heirs, beneficiaries, legatees, devisees, grantees, creditors, and all other parties claiming by, through, under, or against those unknown natural persons; and the several and respective unknown assigns, successors in interest, trustees, or any other person claiming by, through, under or against any corporation or other legal entity named or later named as a Defendant; and all claimants, persons or parties, natural or corporate,

or whose exact legal status is unknown, claiming under any of the above named Defendants or parties or claiming to have any right, title or interest in the properties hereinafter described.

YOU ARE NOTIFIED that an action to quiet title and for recission of deeds to the following properties in Duval County, Florida:

EXHIBIT A The South 39 feet 8 inches of Lot 12, together with the North 30 feet of Lot 12, Block 83, SPRINGFIELD according to plat thereof as recorded in Plat Book 2, page 4, of the current public records of Duval County, Florida. has been filed against you and you are required to serve a copy of your written defenses, if any, to it on D. Randall Briley, the Plaintiff’s attorney, whose address is 1525B The Greens way, 2nd Floor, Jacksonville Beach, Florida 32250, on or before September 28, 2023, or within 35 days of the first date of publication of this notice, and file the original with the Clerk of this Court either before service on the Plaintiff’s attorney or immediately thereafter; otherwise a default will be entered against you for the relief demanded in the Complaint of Petition. Dated this 28th day of August, 2023. JODY PHILLIPS AS CLERK OF THE COURT

(23-05709D)

FOURTH INSERTION

IN THE COUNTY COURT OF THE FOURTH JUDICIAL CIRCUIT, IN AND FOR DUVAL COUNTY, FLORIDA CASE NO.: 16-2023-CC-008834

Division: CC-H 1220 STATE STREET, LLC, a Florida limited liability company, Plaintiff, vs. JEREMIAH LAMBERT, and MARTHA HOLLOWAY, Defendants.

NOTICE OF ACTION

TO: JEREMIAH LAMBERT MARTHA HOLLOWAY

YOU ARE NOTIFIED that an action for breach of contract damages has been filed against you and that you are required to serve a copy of your written defenses, if any, to it on Logan K. McEwen, the Plaintiff’s attorney, whose address is 1200 Riverplace Boulevard, Suite 800, Jacksonville, Florida 32207, on or before 30 days from the first date of pub-

licat ion, which date is: October 9, 2023, and file the original with the clerk of this court either before service on the Plaintiff’s attorney or immediately thereafter; otherwise a default will be entered against you for the relief demanded in the complaint or petition. The action was instituted in the County Court of the Fourth Judicial Circuit in and for Duval County, State of Florida and is styled as follows: 1220 STATE STREET, LLC, Plaintiff v. JEREMIAH LAMBERT and MARTHA HOLLOWAY, Defendants. Dated on August 17, 2023.

JODY PHILLIPS CLERK OF THE COURT DUVAL COUNTY, FLORIDA

By: Victoria Lombardo

As Deputy Clerk (Court Seal)

Aug. 24/31

Sep. 7/14 31 (23-05517D)

SECOND INSERTION

IN THE CIRCUIT COURT OF THE FOURTH JUDICIAL CIRCUIT IN AND FOR DUVAL COUNTY, FLORIDA GENERAL JURISDICTION

DIVISION

CASE NO. 16-2023-CA-008349

DIVISION: FC-F NEWREZ LLC F/K/A NEW PENN FINANCIAL LLC D/B/A SHELLPOINT MORTGAGE SERVICING, Plaintiff, vs. CONAN A. KELLEY, AS PERSONAL REPRESENTATIVE OF THE ESTATE OF NORMAN R. KELLEY, JR., DECEASED; CONAN A. KELLEY, et al. Defendant(s).

NOTICE OF FORECLOSURE SALE

NOTICE IS HEREBY GIVEN pursuant to a Final Judgment of Foreclosure dated August 28, 2023 and entered in 16-2023-CA008349 of the Circuit Court of the FOURTH Judicial Circuit in and for DUVAL County, Florida, wherein NEWREZ LLC F/K/A NEW PENN FINANCIAL, LLC D/B/A SHELLPOINT MORTGAGE SERVICING is the Plaintiff and CONAN A. KELLEY, AS PERSONAL REPRESENTATIVE OF THE ESTATE OF NORMAN R. KELLEY, JR, DECEASED; CONAN A. KELLEY are the Defendant(s). Jody Phillips as the Clerk of the Circuit Court will sell to the highest and best bidder for cash at: www.duval.realforeclose.com

at 11:00 AM, on November 1, 2023, the following described property as set forth in said Final Judgment, to wit:

ALL THAT PARCEL OF LAND IN CITY OF JACKSONVILLE, DUVAL COUNTY, STATE OF FLORIDA BEING KNOWN AND DESIGNATED AS LOT 21, BLOCK

18, SECTION 23, DEL RIO UNIT NO. 2, ACCORDING TO THE PLAT THEREOF AS RECORDED IN PLAT BOOK 27, PAGES 53, 53A AND 53B, RECORDED 02/18/1957, OF THE CURRENT PUBLIC RECORDS OF DUVAL COUNTY, STATE OF FLORIDA.

Property Address: 12695 CARON DR JACKSONVILLE, FL 32258

Any person claiming an interest in the surplus from the sale, if any, other than the property owner as of the date of the lis pendens must file a claim in accordance with Florida Statutes, Section 45.031. Americans With Disabilities Act (ADA) Notice

In accordance with the Americans with Disabilities Act of 1990 (ADA), If you are a person with a disability who needs any accommodation in order to participate in this proceeding, you are entitled at no cost to you, to the provision of certain assistance. Please contact the ADA Coordinator at crtintrp@coj.net or (904) 2551695 at least 7 days before your scheduled court appearance, or immediately upon receiving this notification if the time before the scheduled appearance is less than 7 days; if you are hearing or voice impaired, call 711. Dated this 5th day of September, 2023.

JODY PHILLIPS As Clerk of the Court

By: Tonya Mooradian As Deputy Clerk (Court Seal) Robertson, Anschutz, Schneid, Crane & Partners, PLLC Attorneys for Plaintiff 6409 Congress Ave., Suite 100, Boca Raton, FL 33487 Telephone: 561-241-6901

Fax: 561-997-6909 23-103760 - AsB Sep. 7/14 10 (23-06073D)

SECOND INSERTION

IN THE CIRCUIT COURT OF THE 4TH JUDICIAL CIRCUIT, IN AND FOR DUVAL COUNTY, FLORIDA CIVIL DIVISION CASE NO. 16-2023-CA-001109

DIVISION: FC-F

U.S. BANK NATIONAL ASSOCIATION AS TRUSTEE FOR ANGEL OAK MORTGAGE TRUST 2019-4, MORTGAGE-BACKED CERTIFICATES, SERIES 2019-4, Plaintiff, vs. BARBARA J. LAW; UNKNOWN SPOUSE OF BARBARA J. LAW; RIVER HILLS CONDOMINIDM ASSOCIATION, INC.; STATE OF FLORIDA; CLERK OF CIRCUIT COURT OF DUVAL COUNTY, FLORIDA; UNKNOWN PERSON IN POSSESSION OF THE SUBJECT PROPERTY, Defendant(s) NOTICE OF FORECLOSURE SALE

NOTICE IS HEREBY GIVEN pursuant to a Final Judgment of Foreclosure dated August 24, 2023, and entered in Case No. 16-2023-CA-001109, of the Circuit Court of the 4th Judicial Circuit in and for DUVAL County, Florida, wherein U.S. BANK NATIONAL ASSOCIATION AS TRUSTEE FOR ANGEL OAK MORTGAGE TRUST 2019-4, MORTGAGE-BACKED CERTIFICATE, SERIES 2019-4 is Plaintiff and BARBARA J. LAW; UNKNOWN SPOUSE OF BARBARA J. LAW; UNKNOWN PERSON IN POSSESSION OF THE SUBJECT PROPERTY; RIVER HILLS CONDOMINIUM ASSOCIATION, INC.; STATE OF FLORIDA; CLERK OF CIRCUIT COURT OF DUVAL COUNTY, FLORIDA; are defendants. JODY PHILLIPS, the Clerk of the Circuit Court, will sell to the highest and best bidder for cash BY ELECTRONIC SALE AT: www.duval.realforeclose.com at 11:00 A.M., on the 11th day of October, 2023 the following described property as set forth in

SECOND INSERTION

IN THE CIRCUIT COURT OF THE FOURTH JUDICIAL CIRCUIT, IN AND FOR DUVAL COUNTY, FLORIDA CASE NO. 16-2022-CA-000413 Division: FC-A

AMERIHOME MORTGAGE COMPANY, LLC; Plaintiff, vs. LAILA C. BRINSON, ET.AL;

Defendants NOTICE OF SALE

NOTICE IS GIVEN that, in accordance with the Final Judgment of Foreclosure dated August 11, 2023, in the above-styled cause. I will sell to the highest and best bidder for cash at: www.duval.realforeclose.com on September 25, 2023 at 11:00

AM the following described property: Lot 172, Kendall Pointe Townhomes, according to the map or plat thereof, as recorded in Plat Book 58, Page(s) 195 through 199, of the Public Records of Duval County, Florida.

Property Address: 1541

ACKEN DRIVE, JACKSONVILLE, FL 32225

ANY PERSON CLAIMING AN INTEREST IN THE SURPLUS FROM THE SALE, IF ANY, OTHER THAN THE PROPERTY OWNER AS OF THE DATE OF THE LIS PENDENS MUST FILE A CLAIM BEFORE THE CLERK REPORTS THE SURPLUS AS UNCLAIMED. THE COURT, IN ITS DISCRETION, MAY ENLARGE THE TIME OF THE SALE. NOTICE OF THE CHANGED TIME OF SALE SHALL BE PUBLISHED AS PROVIDED HEREIN.

Americans With Disabilities Act

(ADA) Notice

In accordance with the Americans with Disabilities Act of 1990 (ADA), If you are a person with a disability who needs any accommodation in order to participate in this proceeding, you are entitled at no cost to you, to the provision of certain assistance.

Please contact the ADA Coordinator at crtintrp@coj.net or (904) 2551695 at least 7 days before your scheduled court appearance, or immediately upon receiving this notification if the time before the scheduled appearance is less than 7 days; if you are hearing or voice impaired, call 711.

WITNESS my hand on the 5th day of September, 2023.

JODY PHILLIPS Clerk of Court

By: Brittany Weimer

Deputy Clerk of Court, Duval County (Court Seal)

MARINOSCI LAW GROUP, P.C.

Attorney for the Plaintiff 100 WEST CYPRESS CREEK ROAD, STE 1045 FORT LAUDERDALE, FL 33309

Telephone: (954)644-8704; Fax: (954) 772-9601

ServiceFL@mlg-defaultlaw.com

ServiceFL2@mlg-defaultlaw.com

Sep. 7/14 10 (23-06072D)

SECOND INSERTION IN THE CIRCUIT COURT, FOURTH JUDICIAL CIRCUIT IN AND FOR DUVAL COUNTY, FLORIDA PROBATE DIVISION

CASE NO.: 16-2023-CP-002059 DIVISION: PR-B IN RE: THE ESTATE OF TRINA MCKELLER, Deceased.

NOTICE TO CREDITORS

The administration of the Estate of TRINA MCKELLER, deceased, whose date of death was March 27, 2023, is pending in the Circuit Court for Duval County, Florida, Probate Division, File Number 16-2023-CP-002059; address of which is 501 W. Adams Street, Jacksonville, FL 32202.

The names and addresses of the personal representative and the personal representative’s attorney are set forth below.

All creditors of the decedent and other persons, who have claims or demands against decedent’s estates, including unmatured, contingent or unliquidated claims, and who have been served a copy of this Notice, must file their claims with this court, WITHIN THE LATER OF THREE (3) MONTHS AFTER THE DATE OF THE FIRST PUBLICATION OF THIS NOTICE OR THIRTY (30) DAYS AFTER THE DATE OF SERVICE OF A COPY OF THIS NOTICE ON THEM.

All other creditors of the decedent and other persons who have claims or demands against the decedent’s estate, including unmatured, contingent or unliquidated claims, must file their claims with this court WITHIN THREE (3) MONTHS AFTER THE DATE OF THE FIRST PUBLICATION OF THIS NOTICE.

ALL CLAIMS NOT SO FILED WILL BE FOREVER BARRED. NOTWITHSTANDING THE TIME PERIODS SET FORTH ABOVE, ANY CLAIM FILED TWO (2) YEARS OR MORE AFTER THE DECEDENT’S DATE OF DEATH IS BARRED. THE DATE OF FIRST PUBLICATION OF THIS NOTICE IS: September 7, 2023.

MICHAEL J. WILSON, Personal Rep. 946 Frost Street Jacksonville, FL 32221 DONALD W. MATTHEWS, ESQUIRE Florida Bar No.: 131997 7952-1A Normandy Blvd. Jacksonville, FL 32221 Phone: (904) 695-3002

Email: donaldmatthewslaw@ bellsouth.net

Attorney for Personal Representative Sep. 7/14 10 (23-06085D)

SECOND INSERTION

said Final Judgment, to wit:

UNIT 2 OF RIVER HILLS CONDOMINIUM, A CONDOMINIUM ACCORDING TO THE DECLARATION OF CONDOMINIUM THEREOF RECORDED IN OFFICIAL RECORDS BOOK 6114, PAGE 2153, OF THE PUBLIC RECORDS OF DUVAL COUNTY, FLORIDA, AND ALL AMENDMENTS THERETO, TOGETHER WITH ITS UNDIVIDED SHARE IN THE COMMON ELEMENTS.

Any person claiming an interest in the surplus from the sale, if any, other than the property owner as of the date of the lis pendens must file a claim before the Clerk reports the surplus as unclaimed. Americans With Disabilities Act (ADA) Notice In accordance with the Americans with Disabilities Act of 1990 (ADA), If you are a person with a disability who needs any accommodation in order to participate in this proceeding, you are entitled at no cost to you, to the provision of certain assistance. Please contact the ADA Coordinator at crtintrp@coj.net or (904) 2551695 at least 7 days before your scheduled court appearance, or immediately upon receiving this notification if the time before the scheduled appearance is less than 7 days; if you are hearing or voice impaired, call 711. Dated this 5th day of September, 2023.

JODY PHILLIPS As Clerk of said Court

By: Tonya

As Deputy Clerk (Court Seal) Kahane & Associates, P.A. 1619 NW 136th Avenue, Suite D-220 Sunrise, Florida 33323

IN THE CIRCUIT COURT OF THE 4TH JUDICIAL CIRCUIT IN AND FOR DUVAL COUNTY, FLORIDA

CASE NO.: 16-2023-CA-009457

DIVISION: CV-A

CAMPFIELD CONDOMINIUM ASSOCIATION, INC., Plaintiff, v. UNKNOWN HEIRS, BENEFICIARIES OR DEVISEES OF THE ESTATE OF ROMANITO MARTINEZ AMIS, Defendants.

NOTICE OF ACTION

TO: UNKNOWN HEIRS, BENEFICIARIES OR DEVISEES OF THE ESTATE OF ROMANITO MARTINEZ AMIS

Last Know Address

Unknown

YOU ARE NOTIFIED that an action to foreclose a lien upon the following described property in Duval County, Florida which has been filed against Defendant, UNKNOWN HEIRS, BENEFICIARIES OR DEVISEES OF THE ESTATE OF ROMANITO MARTINEZ AMIS:

UNIT NO. 4306, BUILDING 4, PHASE I, CAMPFIELD CONDOMINIUM ACCORDING TO THE DECLARATION OF CONDOMINIUM AS RECORDED IN OFFICIAL RECORDS

VOLUME 12505, PAGE 1989, AS RERECORDED IN OFFICIAL RECORDS VOLUME 12521, PAGE 774 AS AMENDED BY AMENDMENT TO DECLARATION RECORDED IN OFFICIAL RECORDS VOLUME 12726, PAGE 2484, AND ANY AMENDMENTS THERETO, TOGETHER WITH AN UNDIVIDED INTEREST IN THE COMMON ELEMENTS APPURTENANT THERTO ALL RECORDED IN THE PUB-

LIC RECORDS OF DUVAL COUNTY, FLORIDA.

Street Address: 11251 Campfield Drive, Unit 4306, Jacksonville, Florida 32256. and you are required to serve a copy of your written defenses, if any, to it, on Daniel Wasserstein, Esq., Plaintiff’s Attorney, WASSERSTEIN, P.A. 301 Yamato Road, Suite 2199, Boca Raton, Florida 33431, Tel.: (561) 288-3999, Fax: (561) 288-4999, E-Mail: danw@ wassersteinpa.com, on or before thirty (30) days after the first publication of this Notice in the Financial News and Daily Record and file the original with the Clerk of Court at Duval County Courthouse, 501 West Adams Street, Jacksonville, FL 32202 either before service on Plaintiff’s attorney or immediately thereafter; otherwise a Default will be entered against you for the relief demanded in the Complaint.

Americans With Disabilities Act

(ADA) Notice

In accordance with the Americans with Disabilities Act of 1990 (ADA), If you are a person with a disability who needs any accommodation in order to participate in this proceeding, you are entitled at no cost to you, to the provision of certain assistance. Please contact the ADA Coordinator at crtintrp@coj.net or (904) 2551695 at least 7 days before your scheduled court appearance, or immediately upon receiving this notification if the time before the scheduled appearance is less than 7 days; if you are hearing or voice impaired, call 711.

WITNESS my hand and the seal of this Court this 5th day of September, 2023.

JODY PHILLIPS

As Clerk of the Court

By Alice V. Griffin

As Deputy Clerk (Court Seal)

THURSDAY, SEPTEMBER 14, 2023 19B JACKSONVILLE DAILY RECORD
Seal) Aug. 31, Sep. 7/14/21 29
(Court
Sep.
7/14 10 (23-06071D)
Telephone: (954) 382-3486
382-5380
service email: notice@kahaneandassociates.com File No.: 21-00154 SPS Sep. 7/14 10 (23-06076D)
Telefacsimile: (954)
Designated
PUBLIC NOTICES DUVAL COUNTY • SUBSEQUENT INSERTIONS

Jacksonville Office

Bryan Simpson U.S. Courthouse

300 North Hogan St., Suite # 8-111

Jacksonville, FL 32202

(904) 354-4300

Washington, DC Office

284 Russell Senate Office Building

Washington DC 20510 (202) 224-3041

rubio.senate.gov

KNOW YOUR LAWMAKERS

Scott

Jacksonville Office

400 West Bay St., Suite 289

Jacksonville, FL 32202

(904) 479-7227

Washington, DC Office

502 Hart Senate Office Building

Washington DC 20510

(202) 224-5274

rickscott.senate.gov

State Sen. Clay

Katherine “Kat” Cammack

3RD CONGRESSIONAL DISTRICT OF FLORIDA

Gainesville District Office 5550 111th NW Blvd. Gainesville, FL 32653 (352) 505-0838

Washington, DC Office

1626 Longworth House Office Building

Washington, DC 20515 (202) 225-5744

Cammack.house.gov

Bean

4TH CONGRESSIONAL DISTRICT OF FLORIDA

Jacksonville District Office

117 W. Duval St., #230 Jacksonville, FL 32202

Washington, DC Office

1239 Longworth House Office Building

Washington, DC 20515 (202) 225-0123

Bean.house.gov

DUVAL COUNTY DELEGATION

117 W. Duval St., Ste. 240, Jacksonville, FL 32202, (904) 255-5105

Yarborough, District 4 Counties: Nassau and part of Duval

DISTRICT OFFICE

1615 Huffingham Road, Suite 1, Jacksonville, FL 32216-2792

(904) 723-5300

State Sen. Tracie Davis, District 5

Counties: Part of Duval

DISTRICT OFFICE

2933 North Myrtle Ave., Suite 201

Jacksonville, FL 32209

(904) 359-2575

State Rep. Wyman Duggan, District 12 Counties: Duval

DISTRICT OFFICE

4070 Herschel Street, Unit 6, Jacksonville, FL 32210-2239

(904) 381-6011

State Rep. Angela “Angie” Nixon, District 13 Counties: Duval

DISTRICT OFFICE

3939 Roosevelt Blvd., Suite G-121

Jacksonville, FL 32205-8949

(904) 381-6013

State Rep. Kimberly Daniels, District 14 Counties: Duval

DISTRICT OFFICE

1224 Beaver St. West, Suite 104 Jacksonville, FL 32204-1415

(904) 359-2533

CLAY

DELEGATION

945 N. Temple Ave., Starke, FL 32091 (904) 966-6215

John H. Rutherford

5TH CONGRESSIONAL DISTRICT OF FLORIDA

Jacksonville District Office 4130 Salisbury Road Suite 2500 Jacksonville, FL 32216

(904) 831-5205

Washington, DC Office 1711 Longworth House Office Building

Washington, DC 20515 (202) 225-2501

rutherford.house.gov

State Rep. Dean Black, District 15

Counties: Duval and Nassau

CAPITOL OFFICE

402 South Monroe Street

Tallahassee, FL 32399-1300

(850) 717-5015

State Rep. Kiyan Michael, District 16

Counties: Duval

DISTRICT OFFICE

421 Third Street North Jacksonville Beach, FL 32250-7028

(904) 242-3495

State Rep. Jessica Baker, District 17

Counties: Duval

CAPITOL OFFICE

402 South Monroe Street Tallahassee, FL 32399-1300

(850) 717-5017

State Sen. Jennifer Bradley, District 6 Counties: Baker, Bradford, Clay, Columbia, Gilchrist, Union and Alachua

DISTRICT OFFICE

1845 East West Parkway, Unit 5, Fleming Island, FL 32003 (904) 278-2085

State Rep. Sam Garrison, District 11 Counties: Clay

DISTRICT OFFICE 1835 East West Parkway, Suite 18, Fleming Island, FL 32003-5311 (904) 278-2062

ST. JOHNS

309 Kingley Lake Dr., Ste. 902, St. Augustine, FL 32092 (904) 823-2300

State Sen. Travis Hutson, District 7

Counties: Flagler, Putnam, St. Johns and Volusia

DISTRICT OFFICE

4875 Palm Coast Parkway, NW, Suite 5, Palm Coast, FL 32137

(386) 446-7610

State Rep. Paul Renner, District 19 Counties: Flagler and part of St. Johns

DISTRICT OFFICE 4877 Palm Coast Parkway Northwest, Suite 1, Palm Coast, FL 32137-3677 (386) 446-7644

State Rep. Bobby Payne, District 20

Counties: Putnam and parts of Clay, Marion and St. Johns

DISTRICT OFFICE 3841 Reid Street, Palatka, FL 32177-2509 (386) 312-2272

State Rep. Cyndi Stevenson, District 18

Counties: St. Johns DISTRICT OFFICE

309 Kingsley Lake Drive, Suite 902, St. Augustine, FL 32092-3048 (904) 823-2300

State Rep. Bobby Payne, District 20 Counties: Putnam and parts of Clay, Marion and St. Johns

DISTRICT OFFICE 3841 Reid Street, Palatka, FL 32177-2509 (386) 312-2272

20B THURSDAY, SEPTEMBER 14, 2023 JACKSONVILLE DAILY RECORD
U.S. Rep. U.S. Sen. Marco Rubio U.S. Sen. Rick U.S. Rep. U.S. Rep. Aaron COUNTY COUNTY DELEGATION
Florida Lawmakers • flsenate.gov • myfloridahouse.gov

PUBLIC NOTICES

SECOND INSERTION

ADVERTISEMENT OF SALE

NOTICE IS HEREBY GIVEN

that the undersigned intends to sell the personal property described below to enforce a lien imposed on said property under The Florida Self Storage Facility Act. Bidding takes place on lockerfox.com and concludes Saturday the 23rd day of September 2023 at 9:00 AM with payment following in CASH at the facility. Store Space Durbin Park, 1195 Saint Johns Parkway, Jacksonville, FL, 32259.

Justin White ; Latasha Darden ; Warren Fero ; Elizabeth Stepp

; Alphanso Keene ; John Grace ; Desiree Lawrence ; Karla Moll ; John Grace ; Jerry Gallion ; Quiana Chapman ; Secura Brown ; Triniti knight ; Vladimir Shteyn

; Scott Stinson. Store Space San

Marco, 1820 Kings Ave., Jacksonville, FL, 32207. Dominique

Nelson ; Douglas Potts ; David

Grimsley ; Devin Holliday ; Terry Sanders ; Johnny Fudge

; mark royal ; Shawntana Sherman ; Katherine Musselman ; Mellanese Becton ; Giorgi

Baratashvili ; Richard Driggers ;

Kaylah Norris ; Audrey Mccoy ;

NOTICE

Joe Wright ; Cody Lewis ; Shaila Rivers ; Kathy Kelley ; Ebony Edwards ; Cherese Langston ; Stephanie Kearney ; Reginald

Graham ; SHONTELL HINES ; DERRICK ROUNTREE ; Can-

dace Wallace ; Kevin Dillow ; Michael Thomas ; Sheila How-

ard ; Nadia Anderson ; Frank Brown ; Otis Johnson ; kierra

brooks ; Keith Wilson ; Mark Kemp ; Antonio Smith ; Brittany

Agyeman ; Sabrina Jones ; Dar-

leen Solomon ; Mikael Yisrael ; Serratta Washington ; Sabryn Robinson ; Vanisha Lewis ; keith

Wilson ; Jhaurhi Robinson ;

Lori Allen ; Jeremyah Jackson ; James Matlock ; Anthony Brooks ; Corey Marnik ; Floyd Reed ; Alexus Johnson ; Sherry Levine ; Tristen Rawlins ; Jabbar Mason

Purchases must be paid for at the time of purchase by cash only.

All purchased items are sold as is, where is, and must be removed at the time of the sale. Sale is subject to cancellation in the event of settlement between the owner and obligated party.

Dated this: 09/05/2023

Sep. 7/14 12 (23-06052D)

SECOND INSERTION

Atlantic Self Storage PUBLIC

SALE will be on September

28th, 2023, at 10:00 AM starting location: 6030 New Kings

Rd Jacksonville, FL 32219 –

Unit 1015 – Chavondria Roberts;

Unit 115 – Anthony Watley Jr;

Unit 116 – Beverly Maree; Unit

1200 – Barbara Fuller; Unit

1238 – Rashod Mccloud; Unit

1240 – Tiffiny Donald; Unit 1519

– Jadiea Higgins; Unit 1603 –

Mishiko Jones; Unit 203 – Brian

Edmonds; Unit 445 – Natisha

Owens; Unit 542 – Lashawnda

Watson; Unit 547 – Tacarra King;

Unit 711 – Stanley Ghent; Unit

823 – Colene Ruhl; Unit 901 –

Tomekia Countryman; Unit 956

– La’Queria Bryant

IMMEDIATELY FOLLOW-

ING: 1650 Dunn Ave Jackson-

ville FL 32218 – Unit 1005 –

Julius King; Unit 106 – Jakeeco

Milton; Unit 109 – Rickie Ricardo

Dorsey; Unit 1121 – Adrian J Shu-

man (parts for vehicles); Unit 1157

– Jamal L Moultrie (appliances);

Unit 1158 – Karen Newton; Unit

116 – Bernard LB Griffin Jr; Unit

1206 – Alecia Gelsey; Unit 1214

– Alecia S Monroe; Unit 1231 –

Chasidy Denise Logan; Unit 1231

– X Logan; Unit 1247 – Rudolph

Eason; Unit 150 – Adrian Denise

Moye; Unit 163 – Jykia C Milner;

Unit 19 – Christopher B Starkes;

Unit 200 – Stacy M Prince; Unit

201 – Gloria Arline; Unit 213 –

Henry Scott; Unit 225 – Laton-

ya Fleming; Unit 251 – Denishia

Baggs; Unit 274 – Thomas Par-

nell; Unit 28 – Celestia W Mobley;

Unit 338 – Tiffany Haynes; Unit

339 – Timpthy William McDonald; Unit 372 – Johnnathon Tyler

Cook; Unit 372 – Johnathan Tyler Cook; Unit 372 – X Cook; Unit 403 – Mecialia A Burnett; Unit 510 – Glynis Clark; Unit 518 – Gwendolyn Hope; Unit 550 – Darnequa Bolden; Unit 606 –Linda R Siplin-Kerrin; Unit 621 – Walter Wheeler Brown Sr; Unit 644 – Mark A Davis; Unit 663

– Sherica L Shumpert; Unit 70

– Martae I Smith; Unit 709 –Jasmine Reaves; Unit 815 – Shervonne Cross; Unit 830 – Tyrone K Hayes; Unit 845 – Deferrio Callahan; Unit 845 – Michael Callahan; Unit 845 – Michael Callahan Jr

Unit 854 – Mark A James; Unit 854 – Mark A James Sr; Unit 877 – William Bonner; Unit 887 –Annette Alisea Lay (business furniture); Unit 948 – Billenia Smith;

Unit 978 – Eric Dean Johnson; Unit #994 – Crystal Campbell

IMMEDIATELY FOLLOW-

ING: 14580 Duval Place W. Jacksonville FL 32218 – Unit

1104 – Reginald Dawayne House

Jr; Unit 199 – Joseph Leroy Singley; Unit 199 – Singley; Unit 324 – Frank Piper; Unit 576 – Allen

E Jones; Unit 608/609 – Jerry L Shoonover Jr; Unit 964 – Maya Ross

Those listed above are delinquent in rent and under FL Statute 83.806 the contents of their units will be sold at Public Sale with a 10% Buyer’s Premium. The above units contain household goods and personal items unless otherwise noted. All Vehicles are sold AS-IS, PARTS ONLY. Terms of sale are CASH ONLY, due at the end of each Public Sale.

Sep. 7/14 12 (23-06102D)

SECOND INSERTION

IN THE CIRCUIT COURT OF THE FOURTH JUDICIAL CIRCUIT IN AND FOR DUVAL COUNTY, FLORIDA GENERAL JURISDICTION DIVISION CASE NO. 16-2022-CA-006697

DIVISION: FC-H

U.S. BANK TRUST NATIONAL ASSOCIATION, NOT IN ITS INDIVIDUAL CAPACITY BUT SOLELY AS OWNER TRUSTEE FOR RCF 2 ACQUISITION TRUST, Plaintiff, vs. DAWAYNE BRIGHT, et al. Defendant(s). NOTICE OF FORECLOSURE SALE

NOTICE IS HEREBY GIVEN pursuant to a Final Judgment of Foreclosure dated August 28, 2023, and entered in 16-2022CA-006697 of the Circuit Court of the FOURTH Judicial Circuit in and for DUVAL County, Florida, wherein U.S. BANK TRUST NATIONAL ASSOCIATION, NOT IN ITS INDIVIDUAL CAPACITY BUT SOLELY AS OWNER TRUSTEE FOR RCF 2 ACQUISITION TRUST is the Plaintiff and DAWAYNE BRIGHT are the Defendant(s). Jody Phillips as the Clerk of the Circuit Court will sell to the highest and best bidder for cash at:

www.duval.realforeclose.com

at 11:00 AM, on the 2nd day of November, 2023 the following described property as set forth in said Final Judgment, to wit:

BEGINNING 29 FEET

SOUTH FROM THE NORTHEAST CORNER OF LOT 1, BLOCK 7, COLLEGE PARK, THENCE RUNNING SOUTH 37 FEET TO A STAKE, THENCE RUNNING WEST 85 FEET TO A

THENCE RUNNING

STAKE, THENCE RUNNING

EAST 85 FEET TO PLACE OF BEGINNING. THIS IS A PART OF LOTS 1 AND 2, BLOCK 7, COLLEGE PARK, RECORDED IN PLAT BOOK 4, PAGE 1, OF THE CURRENT PUBLIC RECORDS OF DUVAL COUNTY, FLORIDA.

Property Address: 1518 FAIRFAX ST JACKSONVILLE, FL 32209

Any person claiming an interest in the surplus from the sale, if any, other than the property owner as of the date of the lis pendens must file a claim in accordance with Florida Statutes, Section 45.031.

Americans With Disabilities Act

(ADA) Notice

In accordance with the Americans with Disabilities Act of 1990 (ADA),

If you are a person with a disability who needs any accommodation in order to participate in this proceeding, you are entitled at no cost to you, to the provision of certain assistance. Please contact the ADA Coordinator at crtintrp@coj.net or (904) 2551695 at least 7 days before your scheduled court appearance, or immediately upon receiving this notification if the time before the scheduled appearance is less than 7 days; if you are hearing or voice impaired, call 711.

Dated this 5th day of September, 2023. JODY PHILLIPS

Attorneys for Plaintiff Robertson, Anschutz, Schneid, Crane & Partners, PLLC, 6409 Congress Ave, Suite 100 Boca Raton, FL 33487 Telephone: 561-241-6901 Fax: 561-997-6909 22-046155 -AsB Sep. 7/14 12 (23-06082D)

SECOND INSERTION

IN THE CIRCUIT COURT, FOURTH JUDICIAL CIRCUIT, IN AND FOR DUVAL COUNTY, FLORIDA CASE NO.: 16-2023-CP-002349

PROBATE DIVISION: PR-B

IN RE: ESTATE OF WILLIAM HENRY BURNS, III, Deceased.

NOTICE TO CREDITORS

The administration of the Estate of William Henry Burns, III, deceased, whose date of death was July 31, 2023, is pending in the Circuit Court for Duval County, Florida, Probate Division, the address of which is 501 W Adams Street, Jacksonville, Florida 32202. The names and addresses of the personal representative and the personal representative’s attorney are set forth below.

All creditors of the decedent and other persons having claims or demands against decedent’s estate, including unmatured, contingent or unliquidated claims, on whom a copy of this notice is required to be served must file their claims with this court ON OR BEFORE THE LATER OF 3 MONTHS AFTER THE TIME OF THE FIRST PUBLICATION OF THIS NOTICE OR 30 DAYS AFTER THE DATE OF SERVICE OF A COPY OF THIS NOTICE ON THEM. All other creditors of the dece-

DUVAL COUNTY • SUBSEQUENT INSERTIONS

dent and other persons having claims or demands against decedent’s estate, including unmatured, contingent or unliquidated claims, must file their claims with this court WITHIN 3 MONTHS AFTER THE DATE OF THE FIRST PUBLICATION OF THIS NOTICE.

ALL CLAIMS NOT FILED WITHIN THE TIME PERIODS SET FORTH IN FLORIDA STATUTES SECTION 733.702 WILL BE FOREVER BARRED. NOTWITHSTANDING THE TIME PERIODS SET FORTH ABOVE, ANY CLAIM FILED TWO (2) YEARS OR MORE AFTER THE DECEDENT’S DATE OF DEATH IS BARRED.

The date of first publication of this notice is September 7, 2023.

Personal Representative: Mary Beth Burns 11454 Young Road Jacksonville, FL 32218 Attorney for Personal Representative:

By: /s/ Blair D. Schemer BLAIR D. SCHEMER, ESQUIRE BERNARD & SCHEMER, P.A. 480 Busch Drive, Jacksonville, FL 32218 (904) 751-6980 Fla. Bar No. 60598

Email: blair@bernardlaw.net Sep. 7/14 2 (23-05999D)

THIRD INSERTION

IN THE CIRCUIT COURT, FOURTH JUDICIAL CIRCUIT, IN AND FOR DUVAL COUNTY, FLORIDA CASE NO.:

16-2023-DR-004533-FM

DIVISION: FM-E IN THE MATTER OF THE TERMINATION OF PARENTAL RIGHTS OF: EMILY CHARLOTTE BURNS IN THE MATTER OF THE ADOPTION OF: EMILY CHARLOTTE BURNS ENGEBRETSEN NOTICE OF ACTION OF PETITION AND HEARING TO TERMINATE PARENTAL RIGHTS PENDING ADOPTION

TO: Joseph Sakowski

Last known address: 425 Island View Circle, St. Augustine, Florida 32095

Information believed to be a correct description of the individual listed above:

Physical description:

Age: 35 Race: White

Hair color: Brown

Eye Color: Hazel

Approximate height: 5’10”

Approximate weight: 200lbs PLEASE TAKE NOTICE that a Petition to Terminate Parental Rights and Stepparent Adoption pending adoption of your child, Emily Charlotte Burns, a female, born on May 28, 2016, in Jacksonville, Florida has been filed in the above-styled case. There will be a hearing on the Petition to Terminate Parental Rights and Stepparent Adoption on the 26th

day of October, 2023, at 10:00 o’clock a.m., before the Honorable Maureen T. Horkan, via Zoom video conferencing, meeting ID: 685 680 5439. The Court has set aside fifteen (15) minutes for the hearing.

You are required to serve a copy of your written defenses, if any, on it to the Adoption Entity whose name and address is Michael A. Shorstein, Esquire, Shorstein & Kelly, Adoption Attorneys, 3821 Atlantic Blvd, Jacksonville, Florida 32207, telephone (904) 3486400, and file an original with the Clerk of the above-styled Court at 501 West Adams Street, Jacksonville, Florida 32202, telephone (904) 255-2000, on or before October 12, 2023. UNDER SECTION 63.089, FLORIDA STATUTES, FAILURE TO TIMELY FILE A WRITTEN RESPONSE TO THIS NOTICE AND THE PETITION WITH THE COURT AND TO APPEAR AT THIS HEARING CONSTITUTES GROUNDS UPON WHICH THE COURT SHALL END ANY PARENTAL RIGHTS YOU MAY HAVE OR ASSERT REGARDING THE MINOR CHILD.

Witness my hand and seal this 28th day of August, 2023. JODY PHILLIPS CLERK OF THE COURT

Margaret Martin As Its Deputy Clerk (Court Seal) Aug. 31, Sep. 7/14/21 34 (23-05713D)

FOURTH INSERTION

IN THE CIRCUIT COURT, FOURTH JUDICIAL CIRCUIT, IN AND FOR DUVAL COUNTY, FLORIDA CASE NO.: 16-2023-CA-008590 DIVISION: CV-D DEBORAH “DEBBIE” JONES, Plaintiff, vs. RUKAB BROTHERS, INC., a dissolved Florida corporation; LINDA S. SHUNNARAH, as Trustee of the Living Trust Agreement of Abrah David Sallah Dated December 17, 2004; THE UNKNOWN HEIRS OF ROSE MARY SALLAH; THE UNKNOWN HEIRS OF ISSA A. BATEH; ABRAHAM I. BATEH as the Trustee of the Mary I. Bateh Family Trust; THE UNKNOWN HEIRS OF NASRALLAH GAZALEH; JABRA GAZALEH, ZAKI GAZALEH, and FOUD GAZALEH, as the heirs of Zareefeh Gazaleh; THE UNKNOWN HEIRS OF ASMA GAZALEH; GLORIA OBIE, DELORES KALEEL, MIRANDA RIX (f/k/a Miranda Shepherd), and DINAH ATALAH, as the heirs of Canaan Gazaleh and Fred C. Gazaleh; BUDIR GAZALEH, as the heir of Fred C. Gazaleh and and Zahiya Gazaleh; IDA G. KHOURY, MARTHA KASEES, JENNIFER PONSELL RABY, and ADAM PONSELL, as heirs of Zahiya Gazaleh; FRANK GAZALEH, FRED K. GAZALEH, and JAMAL JASON GAZALEH, as heirs of Kamil Fred Gazaleh; THE UNKNOWN HEIRS OF FRED F. GAZALEH a/k/a FADLALLAH GAZALEH; NABEEL RUKAB and BASIM RUKAB, as heirs of Paul N. Rukab, Defendants.

NOTICE OF ACTION JABRA GAZALEH, ZAKI

FOURTH INSERTION

IN THE CIRCUIT COURT OF THE FOURTH JUDICIAL CIRCUIT, IN AND FOR DUVAL COUNTY, FLORIDA Case No: 16-2023-DR-003158-FM

Division: FM-E

Tamika McBride-Rivers, Petitioner, and Henry Rivers, Jr., Respondent, NOTICE OF ACTION FOR DISSOLUTION OF MARRIAGE (NO CHILD OR FINANCIAL SUPPORT)

TO: Henry Rivers, Jr. 1824 W 9th St. Jacksonville, FL 32209

YOU ARE NOTIFIED that an action for dissolution of marriage has been filed against you and that you are required to serve a copy of your written defenses, if any, to it on Tamika McBride-Rivers, whose address is 4452 Bedivere Road, Jacksonville, Florida, 32208 on or before October 4, 2023, and file the original with the clerk of this Court at 501 W. Adams St, Jacksonville, FL 32202, Rm 1191 before service on Petitioner or immediately thereafter. If you fail to do so, a default may be entered against you for the relief demanded in the petition.

Copies of all court documents in this case, including orders, are available at the Clerk of the Circuit Court’s office. You may review these documents upon request.

You must keep the Clerk of the Circuit Court’s office notified of your current address. (You may file Designation of Current Mailing and E-Mail Address, Florida Supreme Court Approved Family Law Form 12.915.) Future papers in this lawsuit will be mailed or e-mailed to the address(es) on record at the clerk’s office.

WARNING: Rule 12.285, Florida Family Law Rules of Procedure, requires certain automatic disclosure of documents and information. Failure to comply can result in sanctions, including dismissal or striking of pleadings.

Dated: August 21, 2023.

JODY PHILLIPS CLERK OF THE CIRCUIT COURT

By: Nina Brown Deputy Clerk (Court Seal) Aug. 24/31, Sep. 7/14 35 (23-05541D)

FOURTH INSERTION

IN THE CIRCUIT COURT, FOURTH JUDICIAL CIRCUIT, IN AND FOR DUVAL COUNTY, FLORIDA.

CASE NO.:

16-2023-DR-005680-FM

DIVISION: FM-B

In Re: The Marriage of ZINA DAVIS, Wife and ANTHONY NELSON, Husband.

NOTICE OF ACTION FOR PETITION FOR DISSOLUTION OF MARRIAGE

FOURTH

IN

INSERTION

THE CIRCUIT COURT, FOURTH JUDICIAL CIRCUIT. IN AND FOR DUVAL COUNTY, FLORIDA

Case No. 16-2022-CA-005514 Division CV-B

DOROTHEA MACK, EVON PINCKNEY, HENRY MONTGOMERY, JR. , and LILLIAN LOCKWOOD

Plaintiff, vs. CHERYL HARRELL, KENNETH THOMAS, PRISCILLA HARRITY, CALVIN HARRITY, GARY WAY, JASON WAY, and RONALD GUNDER, Defendants.

NOTICE OF ACTION

To: Priscilla Harrity

Last Known Address: 325 East Duval Street, Apt.309 Jacksonville, FL 32202

You are hereby notified that an action to Partition the following property in Duval County Florida, to wit:

Lot 19, Unit 2, WOOD’S ADDITION TO DURKEEVILLE, according to plat thereof as recorded in Deed Book 1033, page 234, of the current public records of Duval County, Florida. has been filed against you and that you are required to serve a copy of your written defenses, if any, to it on Edward P. Jackson, attorney for Plaintiff, whose address is 255 North Liberty Street, Jacksonville, FL 32202, within thirty (30) days after the date of the first publication of this notice, and file the original with the Clerk of this Court either before service upon the Plaintiff’s attorney or immediately thereafter; otherwise a default will be entered against you for the relief demanded in the Complaint.

Date: August 18, 2023.

JODY PHILLIPS CLERK OF THE COURT

By: Alice V. Griffin

As Deputy Clerk Aug. 24/31, Sep. 7/14 35 (23-05535D)

SECOND INSERTION IN THE CIRCUIT COURT OF THE FOURTH JUDICIAL CIRCUIT IN AND FOR DUVAL COUNTY, STATE OF FLORIDA CASE NO.: 16-2023-DP-230-A

DIVISION: JV-D IN THE INTEREST OF: L. N. (A/K/A L. B) DOB: 05/16/2023 A MINOR CHILD SUMMONS AND NOTICE OF ACTION (BY PUBLICATION) THE STATE OF FLORIDA

GAZALEH, and FOUD GAZALEH, as the heirs of Zareefeh Gazaleh YOU ARE HEREBY NOTIFIED that an action for quiet title related to the real property located at 11231 Ramallah Road, Jacksonville, FL 32219 has been filed against you and you are required to serve a copy of your written defenses, if any, to it on Adam B. Edgecombe, Esquire, whose address is Cobb & Gonzalez, P.A., 4655 Salisbury Road, Suite 200, Jacksonville, Florida 32256, and file the original with the Clerk of the above-styled Court on or before thirty-five (35) days from the first publication, otherwise a Judgment may be entered against you for the relief demanded in the Complaint.

Americans With Disabilities Act (ADA) Notice

In accordance with the Americans with Disabilities Act of 1990 (ADA),

If you are a person with a disability who needs any accommodation in order to participate in this proceeding, you are entitled at no cost to you, to the provision of certain assistance. Please contact the ADA Coordinator at crtintrp@coj.net or (904) 2551695 at least 7 days before your scheduled court appearance, or immediately upon receiving this notification if the time before the scheduled appearance is less than 7 days; if you are hearing or voice impaired, call 711. WITNESS my hand and the seal of this Court this 22nd day of August, 2023.

JODY PHILLIPS Clerk of the Circuit Court Duval County, Florida

As Clerk of the Court by:

By:

As Deputy Clerk (Court Seal) Aug. 24/31, Sep. 7/14 35 (23-05591D)

TO: Anthony Nelson 623 Beechwood Street Jacksonville, Florida 32206

Last Known Address

YOU ARE NOTIFIED that an action has been filed against you and that you are required to serve a copy of your written defenses, if any, to it on, Heather Kilpatrick, Esq., Attorney for the Petitioner/ Wife, whose address is 126 W. Adams St., Jacksonville, Florida 32202, on or before September 29, 2023, and file the original with the clerk of this Court at 501 W. Adams Street St., Rm. 2474, Jacksonville, Florida 32202, before service on Petitioner or immediately thereafter. If you fail to do so, a default may be entered against you for the relief demanded in the petition.

Copies of all court documents in this case, including orders, are available at the Clerk of the Circuit Court’s office. You may review these documents upon request. You must keep the Clerk of the Circuit Court’s office notified of your current address. (You may file Notice of Current Address, Florida Supreme Court Approved Family Law Form 12.915.) Future papers in this lawsuit will be mailed to the address on record at the clerk’s office.

WARNING: Rule 12.285, Florida Family Law Rules of Procedure, requires certain automatic disclosure of documents and information. Failure to comply can result in sanctions, including dismissal or striking of pleadings.

Dated: August 15, 2023.

JODY PHILLIPS CLERK OF THE CIRCUIT COURT

By: Monet Wheatly-Phillip Deputy Clerk (Court Seal) Aug. 24/31, Sep. 7/14 35 (23-05529D)

TO: Ashley Bury, Mother Address Unknown YOU ARE HEREBY NOTIFIED that a Petition has been filed by the State of Florida, Department of Children and Families to terminate your parental rights and permanently commit the following children for adoption: L. N. (A/K/A L. B.) born May 16, 2023. You are hereby commanded to appear on October 9, 2023 at 1:00 P.M., before the Honorable Judge W. Collins Cooper, Juvenile Division, Courtroom 204, Duval County Courthouse, 501 W Adams Street, Jacksonville, FL 32202. You MUST appear at this hearing.

FAILURE TO PERSONALLY APPEAR AT THE ADVISORY HEARING CONSTITUTES CONSENT TO THE TERMINATION OF YOUR PARENTAL RIGHTS

TO L. N. (A/K/A L. B.), AND YOU MAY LOSE ALL LEGAL RIGHTS AS A PARENT TO THIS CHILD. Pursuant to Sections 39.804(4) (d) and 63.082(6)(g), Florida Statutes, you are hereby informed of the availability of private placement with an adoption entity, as defined in Section 63.032(3), Florida Statutes.

Individuals with disabilities needing a reasonable accommodation to participate in this proceeding should contact the Clerk of the Court, as soon as possible, telephone (904) 255-2000 or if hearing impaired, 1-800-9558771-(TDD); or 1800-955-8770 (V) Florida Relay Service. WITNESS my hand as clerk of said Court and the Seal thereof, this 1st day of September, 2023.

JODY PHILLIPS, as Clerk of Court

By: S. Gesell As Deputy Clerk (Court Seal) Morgan R. Lauten, Esquire, Children’s Legal Services Florida Bar

THURSDAY, SEPTEMBER 14, 2023 1C JACKSONVILLE DAILY RECORD
Number: 1018118 1845 Town Center Blvd., Suite 240 Fleming Island, FL 32003 Phone: (904) 571-2858 Morgan.Lauten@ myflfamilies.com Wendy.Cusick@myflfamilies.com Sep. 7/14/21/28 12 (23-05996D)
STAKE,
NORTH 37 FEET TO A

SECOND INSERTION

NOTICE OF PUBLIC SALE

Notice is given that U-STOR

auctions will be held September 26,2023 at listed locations. Pursuant to Florida Statutes 83.801 – 83.809, to satisfy liens due to unpaid rents and charges. The undersigned will sell at public sale by competitive bidding the personal property heretofore stored with the undersigned to satisfy the owner’s lien.

“CONSISTING OF HOUSEHOLD ITEMS UNLESS OTHERWISE NOTED

Beginning at 10:00 AM U-Stor Blanding 1065 Blanding Blvd. 904-276-4553

H54 Hall Joseph Duncan

IMMEDIATELY FOLLOWING AT U-Stor Mandarin 11201 San Jose Blvd. 904-262-8100

L 9 Arthur Ellsworth

O 4 Raymond Dick DD 33 Charles Tifft

IMMEDIATELY FOLLOWING AT U-STOR ST. JOHNS’ BLUFF

2915 ST. JOHN’S BLUFF ROAD 904-641-3107

A 28 Alberto Gonzales Soto

D 16 Tamika Pettaway

F 13 Carla Foreman

F 20 Carla Foreman

Immediately Following at Sawgrass Self Storage 10042 Sawgrass Dr. W. 904-285-3344

Following at U-Stor SR 210

130 Cumberland Park Dr. St. Augustine, FL 32095 904-829-1000

Immediately Following at Rabbit Hill Self Storage 478 State Road 16 Saint Augustine, FL 32088 904-829-2333

423 Michael Deparias

Sep. 7/14

4 (23-06033D)

SECOND INSERTION

IN THE CIRCUIT COURT OF THE FOURTH JUDICIAL CIRCUIT, IN AND FOR DUVAL COUNTY, FLORIDA

CASE NO. 16-2022-CA-004371

Division: FC-B

PENNYMAC LOAN SERVICES, LLC; Plaintiff, vs. CHARLES WHITFIELD A/K/A CHARLS WHITFIELD A/K/A CHARLE WHITFIELD, ET.AL;

Defendants NOTICE OF SALE NOTICE IS GIVEN that, in accordance with the Final Judgment of Foreclosure dated August 10, 2023, in the above-styled cause. I will sell to the highest and best bidder for cash at: www.duval.realforeclose.com

on September 25, 2023 at 11:00

AM the following described property: Lot 92, St. James Place Unit Three, according to the Plat thereof as recorded in Plat Book 64, Pages 9 through 16, inclusive, of the Public Records of Duval County, Florida.

Property Address: 8933 MERSEYSIDE AVE, JACKSONVILLE, FL 32219

ANY PERSON CLAIMING AN INTEREST IN THE SURPLUS FROM THE SALE, IF ANY, OTHER THAN THE PROPERTY OWNER AS OF THE DATE OF THE LIS PENDENS MUST FILE A CLAIM BEFORE THE CLERK REPORTS THE SURPLUS AS UNCLAIMED. THE COURT, IN ITS DISCRETION, MAY ENLARGE THE TIME OF THE SALE. NOTICE OF THE CHANGED TIME OF SALE SHALL BE PUBLISHED AS PROVIDED HEREIN. Americans With Disabilities Act

(ADA) Notice

In accordance with the Americans with Disabilities Act of 1990 (ADA), If you are a person with a disability who needs any accommodation in order to participate in this proceeding, you are entitled at no cost to you, to the provision of certain assistance.

Please contact the ADA Coordinator at crtintrp@coj.net or (904) 2551695 at least 7 days before your scheduled court appearance, or immediately upon receiving this notification if the time before the scheduled appearance is less than 7 days; if you are hearing or voice impaired, call 711.

WITNESS my hand on the 1st day of September, 2023.

JODY PHILLIPS Clerk of Court

Deputy Clerk of Court, Duval County (Court Seal)

MARINOSCI LAW GROUP, P.C.

Attorney for the Plaintiff 100 WEST CYPRESS CREEK ROAD, STE 1045 FORT LAUDERDALE, FL 33309

Telephone: (954)644-8704; Fax: (954) 772-9601

ServiceFL@mlg-defaultlaw.com

ServiceFL2@mlg-defaultlaw.com

Sep. 7/14 4 (23-06044D)

SECOND INSERTION

IN THE CIRCUIT COURT FOR DUVAL COUNTY, FLORIDA

File No. 16-2023-CP-000859

Division: PR-B

IN RE: ESTATE OF WILLIAM S. GORDON Deceased.

NOTICE TO CREDITORS

The administration of the estate of William S. Gordon, deceased, whose date of death was September 11, 2021, is pending in the Circuit Court for Duval County, Florida, Probate Division, the address of which is 501 West Adams Street, Room 1173, Jacksonville, Florida 32202. The names and addresses of the personal representative and the personal representative’s attorney are set forth below.

All creditors of the decedent and other persons having claims or demands against decedent’s estate on whom a copy of this notice is required to be served must file their claims with this court ON OR BEFORE THE LATER OF 3 MONTHS AFTER THE TIME OF THE FIRST PUBLICATION OF THIS NOTICE OR 30 DAYS AFTER THE DATE OF SERVICE OF A COPY OF THIS NOTICE ON THEM. All other creditors of the decedent and other persons having claims or demands against decedent’s estate must file their claims with this court WITHIN

3 MONTHS AFTER THE DATE OF THE FIRST PUBLICATION OF THIS NOTICE. ALL CLAIMS NOT FILED WITHIN THE TIME PERIODS SET FORTH IN FLORIDA STATUTES SECTION 733.702 WILL BE FOREVER BARRED. NOTWITHSTANDING THE TIME PERIODS SET FORTH ABOVE, ANY CLAIM FILED TWO (2) YEARS OR MORE AFTER THE DECEDENT’S DATE OF DEATH IS BARRED. The date of first publication of this notice is September 7, 2023.

Personal Representative:

Russell D. Henry 1 Independent Drive Suite 3130 Jacksonville, Florida 32202

Attorney for Personal Representative:

Haley C. Yackee haley.yackee@colemantalley.com

Florida Bar No. 1018282

1 Independent Drive Suite 3130 Jacksonville, Florida 32202 Telephone: (904) 456-8949 Sep. 7/14 2 (23-05997D)

SECOND INSERTION IN THE CIRCUIT COURT, FOURTH JUDICIAL CIRCUIT, IN AND FOR DUVAL COUNTY, FLORIDA CASE NO.: 16-2023-CP-002454 DIVISION: PR-A IN RE: THE ESTATE OF ADRIAN THOMAS, JR. Deceased.

NOTICE TO CREDITORS

The administration of the estate of Adrian Thomas, Jr., also known as Adrian Lamar Thomas, Jr., deceased, whose date of death was May 7, 2022, is pending in the Circuit Court for Duval County, Florida, Probate Division, the address of which is 501 W. Adams Street, Rm 1173, Jacksonville, FL 32202. The names and addresses of the personal representative and the personal representative’s attorney are set forth below.

All creditors of the decedent and other persons having claims or demands against decedent’s estate on whom a copy of this notice is required to be served must file their claims with this court ON OR BEFORE THE LATER OF

3 MONTHS AFTER THE TIME OF THE FIRST PUBLICATION OF THIS NOTICE OR 30 DAYS AFTER THE DATE OF SERVICE OF A COPY OF THIS NOTICE ON THEM.

All other creditors of the decedent and other persons having claims or demands against decedent’s estate must file their claims with this court WITHIN

3 MONTHS AFTER THE DATE OF THE FIRST PUBLICATION OF THIS NOTICE. ALL CLAIMS NOT FILED WITHIN THE TIME PERIODS SET FORTH IN FLORIDA STATUTES SECTION 733.702 WILL BE FOREVER BARRED. NOTWITHSTANDING THE TIME PERIODS SET FORTH ABOVE, ANY CLAIM FILED TWO (2) YEARS OR MORE AFTER THE DECEDENT’S DATE OF DEATH IS BARRED. The date of first publication of this notice is September 7, 2023.

Personal Representative: PATRICIA SHIVERS 5641 California Avenue, Apt. 408 Jacksonville, FL 32244 Attorney for Personal Representative: NANCY E. KEMNER Attorney Florida Bar Number: 879746

P.O. Box 9318 Fleming Island, FL 32006 Telephone: (904) 278-1178

Fax: (904) 592-7735 E-Mail: nancy@kemnerlaw.com Secondary E-Mail: filing@kemnerlaw.com Sep. 7/14 2 (23-06000D)

IN THE CIRCUIT COURT, FOURTH JUDICIAL CIRCUIT, IN AND FOR DUVAL COUNTY, FLORIDA

PROBATE DIVISION

FILE NO.: 16-2023-CP-002279

DIVISION: PR-B

IN RE: ESTATE OF THERESA MARIE ACKLEY Deceased.

NOTICE TO CREDITORS

The administration of the ESTATE OF THERESA MARIE ACKLEY, deceased, whose date of death was May 1, 2023, is pending in the Fourth Judicial Circuit Court for Duval County, Florida, Probate Division, the address of which is 501 W. Adams Street, Room 1173, Jacksonville, Florida 32202. The names and addresses of the personal representative and the personal representative’s attorney are set forth below. All creditors of decedent and other persons having claims or demands against decedent’s estate on whom a copy of this notice is required to be served must file their claims with this court WITHIN THE LATER OF 3 MONTHS AFTER THE TIME OF THE FIRST PUBLICATION OF THIS NOTICE OR 30 DAYS AFTER THE DATE OF SERVICE OF A COPY OF THIS NOTICE ON THEM.

All other creditors of decedent and other persons having claims or demands against decedent’s estate must file their claims with this court WITHIN 3 MONTHS AFTER THE DATE OF THE FIRST PUBLICATION OF THIS NOTICE.

ALL CLAIMS NOT FILED WITHIN THE TIME PERIODS SET FORTH IN SECTION 733.702 OF THE FLORIDA PROBATE CODE WILL BE FOREVER BARRED. NOTWITHSTANDING THE TIME PERIODS SET FORTH ABOVE, ANY CLAIM FILED TWO (2) YEARS OR MORE AFTER THE DECEDENT’S DATE OF DEATH IS BARRED.

The date of first publication of this notice is September 7, 2023.

David M. Ackley

Co-Personal Representative 19520 Puritas Ave., #223 Cleveland, OH 44135

Michelle Ackley Rowan

Co-Personal Representative 9831 Del Webb Pkwy., #4408 Jacksonville, FL 32256

Peter T. Dirksen, Esquire

Attorney for Personal Representative

Florida Bar No. 586129 Brant, Reiter, McCormick & Johnson, P.A. 135 W. Bay Street, Suite 400 Jacksonville, FL 32202 Telephone: (904) 366-2375 Facsimile: (904) 353-1166 ptdirksen@barmjlaw.com

Sep.

SECOND INSERTION IN THE CIRCUIT COURT, FOURTH JUDICIAL CIRCUIT IN AND FOR DUVAL COUNTY, FLORIDA PROBATE DIVISION

CASE NO. 16-2023-CP-002270

DIVISION: PR-A IN RE: THE ESTATE OF KENNETH LESLIE KUESTER, Deceased. NOTICE TO CREDITORS

The administration of the Estate of KENNETH LESLIE KUESTER, deceased, whose date of death was June 24, 2023, is pending in the Circuit Court for Duval County, Florida, Probate Division, File Number 16-2023CP-002270; address of which is 501 W. Adams Street, Jacksonville, FL 32202. The names and addresses of the personal representative and the personal representative’s attorney are set forth below.

All creditors of the decedent and other persons, who have claims or demands against decedent’s estates, including unmatured, contingent or unliquidated claims, and who have been served a copy of this Notice, must file their claims with this court, WITHIN THE LATER OF THREE (3) MONTHS AFTER THE DATE OF THE FIRST PUBLICATION OF THIS NOTICE OR THIRTY (30) DAYS AFTER THE DATE OF SERVICE OF A COPY OF THIS NOTICE ON THEM.

All other creditors of the decedent and other persons who have claims or demands against the decedent’s estate, including unmatured, contingent or unliquidated claims, must file their claims with this court WITHIN THREE (3) MONTHS AFTER THE DATE OF THE FIRST PUBLICATION OF THIS NOTICE.

ALL CLAIMS NOT SO FILED WILL BE FOREVER BARRED.

NOTWITHSTANDING THE TIME PERIODS SET FORTH ABOVE, ANY CLAIM FILED TWO (2) YEARS OR MORE AFTER THE DECEDENT’S DATE OF DEATH IS BARRED.

THE DATE OF FIRST PUBLICATION OF THIS NOTICE IS:

September 7, 2023.

MICHAEL J. WILSON, Personal Rep. 946 Frost Street Jacksonville, FL 32221 DONALD W. MATTHEWS, ESQUIRE Florida Bar No.: 131997 7952-1A Normandy Blvd. Jacksonville, FL 32221 Phone: (904) 695-3002

Email: donaldmatthewslaw@ bellsouth.net

Attorney for Personal Representative Sep. 7/14 4 (23-06066D)

SECOND INSERTION

IN THE CIRCUIT COURT OF THE FOURTH JUDICIAL CIRCUIT IN AND FOR DUVAL COUNTY, FLORIDA

CASE NO.: 16-2023-CA-006660 Division FC-E ROCKET MORTGAGE, LLC

F/K/A QUICKEN LOANS, LLC, Plaintiff, v. TERRANCE BERNARD ROBERTS; UNKNOWN SPOUSE OF TERRANCE BERNARD ROBERTS; PORTFOLIO RECOVERY ASSOCIATES, LLC; ALL UNKNOWN PARTIES CLAIMING INTERESTS BY, THROUGH, UNDER OR AGAINST A NAMED DEFENDANT TO THIS ACTION, OR HAVING OR CLAIMING TO HAVE ANY RIGHT, TITLE OR INTEREST IN THE PROPERTY HEREIN DESCRIBED; UNKNOWN TENANT #1; UNKNOWN TENANT #2, Defendant(s), NOTICE OF FORECLOSURE SALE

NOTICE IS HEREBY GIVEN pursuant to Final Judgment dated August 18, 2023 entered in Civil Case No. 16-2023-CA006660 in Circuit Court of the 4th Judicial Circuit in and for Duval County, Florida, wherein ROCKET MORTGAGE, LLC

F/K/A QUICKEN LOANS, LLC, Plaintiff and TERRANCE BERNARD ROBERTS; PORTFOLIO RECOVERY ASSOCIATES, LLC, are Defendant(s), Jody Phillips, Clerk of Court, will sell to the highest and best bidder for cash beginning at 11:00 AM at: www.duval.realforeclose.com in accordance with Chapter 45, Florida Statutes on October 4, 2023 the following described property as set forth in said Final Judgment, to-wit:

LOT 80 OF VILLAG -

OF SUMMER LAKES, ACCORDING TO THE PLAT THEREOF RECORDED IN

SECOND INSERTION

IN THE CIRCUIT COURT OF THE FOURTH JUDICIAL CIRCUIT IN AND FOR DUVAL COUNTY, FLORIDA

CASE NO. 16-2019-CA-009027

DIVISION: FC-B

WELLS FARGO BANK, N.A.

Plaintiff, v. PAUL D MCARTHUR; UNKNOWN SPOUSE OF PAUL D. MCARTHUR; UNKNOWN TENANT 1; UNKNOWN TENANT 2; SAN JOSE LAKE CIVIC ASSOCIATION, INC.

Defendants.

NOTICE OF SALE

Notice is hereby given that, pursuant to the Final Judgment of Foreclosure entered on October 4, 2022, and Order Rescheduling Foreclosure Sale entered on August 25, 2023, in this cause, in the Circuit Court of Duval County, Florida, the clerk shall sell the property situated in Duval County, Florida, described as: LOT 23, BLOCK 14, REPLAT OF SAN JOSE, ACCORDING TO PLAT THEREOF AS RECORDED IN PLAT BOOK 25, PAGES 98, 98A THROUGH 98C, OF THE CURRENT PUBLIC RECORDS OF DUVAL COUNTY, FLORIDA. a/k/a 4061 MARIANNA RD, JACKSONVILLE, FL 32217-3609 at public sale, to the highest and best bidder, for cash, online at: www.duval.realforeclose.com on October 09, 2023 beginning at 11:00 AM..

Any person claiming an interest in the surplus from the sale, if any, other than the property owner as of the date of the lis pendens must file a claim before the clerk reports the surplus as unclaimed.

Americans With Disabilities Act (ADA) Notice

In accordance with the Americans with Disabilities Act of 1990 (ADA), If you are a person with a disability who needs any accommodation in order to participate in this proceeding, you are entitled at no cost to you, to the provision of certain assistance. Please contact the ADA Coordinator at crtintrp@coj.net or (904) 2551695 at least 7 days before your scheduled court appearance, or immediately upon receiving this notification if the time before the scheduled appearance is less than 7 days; if you are hearing or voice impaired, call 711. Dated this 1st day of September, 2023.

JODY PHILLIPS

Clerk of the Circuit Court

By: Brittany Weimer Deputy Clerk

(Court Seal)

eXL Legal, PLLC 12425 28TH ST NORTH, STE. 200 ST. PETERSBURG, FL 337161826 EFILING@EXLLEGAL.COM 1000005725

Sep. 7/14 4 (23-06039D)

SECOND INSERTION IN THE CIRCUIT COURT, FOURTH JUDICIAL CIRCUIT, IN AND FOR DUVAL COUNTY, FLORIDA PROBATE DIVISION

CASE NO.: 16-2022-CP-001455

DIVISION: PR-B IN RE: ESTATE OF PHALANZA S. FRANCISCO, SR. A/K/A PHALANZE SANDA FRANCISCO, SR., Deceased.

NOTICE TO CREDITORS

The administration of the estate of PHALANZA S. FRANCISCO, SR. A/K/A PHALANZA SANDA FRANCISCO, SR., deceased, whose date of death was March 22, 2019, is pending in the Circuit Court for Duval County, Florida, Probate Division, File No. 16-2022-CP-001455, the address of which is 501 West Adams Street, Duval County Courthouse, Jacksonville, FL 32202. The names and addresses of the personal representative and that personal representative’s attorney are set forth below.

All creditors of the decedent and other persons having claims or demands against decedent’s estate on whom a copy of this notice is required to be served must file their claims with this court ON OR BEFORE THE LATER OF 3 MONTHS AFTER THE TIME OF THE FIRST PUBLICATION OF THIS NOTICE OR 30 DAYS AFTER THE DATE OF SERVICE OF A COPY OF THIS NOTICE ON THEM.

All other creditors of the decedent and other persons having claims or demands against decedent’s estate must file their claims with this Court WITHIN 3 MONTHS AFTER THE DATE OF THE FIRST PUBLICATION OF THIS NOTICE.

ALL CLAIMS NOT FILED WITHIN THE TIME PERIODS SET FORTH IN SECTION 733.702 OF THE FLORIDA PROBATE CODE WILL BE FOREVER BARRED. NOTWITHSTANDING THE TIME PERIODS SET FORTH ABOVE, ANY CLAIM FILED TWO (2) YEARS OR MORE AFTER THE DECEDENT’S DATE OF DEATH IS BARRED. The date of the first publication of this Notice is September 7, 2023.

Personal Representative Phalanda Shawnree Francisco 43515 Arborview Lane Van Buren Township, MI 48111 Attorney for Personal Representative TIMOTHY P. KELLY, ESQUIRE Florida Bar No. 0724475 TIMOTHY P. KELLY, P.A. 1016 LaSalle Street Jacksonville, Florida 32207

Telephone: (904) 399-3705

Facsimile: (904) 399-3706

Email Service: Eservice@tkellypa.com Sep. 7/14 4 (23-06027D)

PLAT BOOK 58, PAGES 10 THROUGH 16 , INCLUSIVE OF THE CURRENT PUBLIC RECORDS OF DUVAL COUNTY FLORIDA.

Property Address: 2296 Sunset Bluff Dr, Jacksonville, Florida 32216 ANY PERSON CLAIMING AN INTEREST IN THE SURPLUS FROM THE SALE, IF ANY, OTHER THAN THE PROPERTY OWNER AS OF THE DATE OF THE LIS PENDENS MUST FILE A CLAIM BEFORE THE CLERK REPORTS THE SURPLUS AS UNCLAIMED. THE COURT, IN ITS DISCRETION, MAY ENLARGE THE TIME OF THE SALE. NOTICE OF THE CHANGED TIME OF SALE SHALL BE PUBLISHED AS PROVIDED HEREIN. Americans With Disabilities Act (ADA) Notice

In accordance with the Americans with Disabilities Act of 1990 (ADA),

If you are a person with a disability who needs any accommodation in order to participate in this proceeding, you are entitled at no cost to you, to the provision of certain assistance. Please contact the ADA Coordinator at crtintrp@coj.net or (904) 2551695 at least 7 days before your scheduled court appearance, or immediately upon receiving this notification if the time before the scheduled appearance is less than 7 days; if you are hearing or voice impaired, call 711.

DATED: September 1, 2023

JODY PHILLIPS CLERK OF THE CIRCUIT COURT Duval County, Florida

By: Brittany Weimer Deputy Clerk of Court (Court Seal)

Submitted By: Jordan Shealy Kelley Kronenberg 10360 West State Road 84 Fort Lauderdale, FL 33324

Service Email: ftlrealprop@ kelleykronenberg.com Sep. 7/14 4 (23-06042D)

SECOND INSERTION

IN THE COUNTY COURT OF THE 4th JUDICIAL CIRCUIT IN AND FOR DUVAL COUNTY, FLORIDA

CASE NO. 16-2022-CC-017871 Division: CC-D

ALLSTATE MORTGAGE HOLDINGS ONE, LLC as Trustee for 5449 TURKEY CREEK CT LAND TRUST

Plaintiff (s)

v. TERRA MAR PROPERTY MANAGEMENT, LLC, as Trustee for the DUVAL COUNTY LAND TRUST #098380-2294; PALM BEACH HOMEOWNERS MASTER ASSOCIATION, LLC, in its individual capacity; FLORIDA COMMUNITY ASSOCIATION, LLC, in its individual capacity; FLORIDA COMMUNITY ASSOCIATION, LLC, as Trustee of DUVAL MANAGEMENT ONE

TRUST; UNKNOWN TENANT #1; UNKNOWN TENANT #2

Defendant(s). RE-NOTICE OF SALE

NOTICE IS HEREBY GIVEN, pursuant to Final Judgment of Mortgage Foreclosure for Plaintiff entered in this cause on March 30, 2023, and an Order Granting

Plaintiff’s Motion to Reschedule

Foreclosure Sale dated August 28, 2023 and entered in Case No. 16-2022-CC-017871, of the County Court in and for Duval County, Florida, Jody Phillips, Clerk of the Circuit Court, will sell the property situated in Duval County, Florida described as:

LOT 47, ORTEGA PARK UNIT THREE, ACCORDING TO THE MAP OR PLAT THEREOF, AS RECORDED IN PLAT BOOK 57, PAGES 70, 70A THROUGH 70E, INCLUSIVE, OF THE PUBLIC RECORDS OF DUVAL

COUNTY, FLORIDA and commonly known as: 5449 TURKEY CREEK COURT, JACKSONVILLE, FL 32244; including the building, appurtenances, and fixtures located therein, at public sale, to the highest and best bidder, for cash, online at www.duval.realforeclose.com on October 5, 2023 at 11:00 A.M.

Any persons claiming an interest in the surplus from the sale, if any, other than the property owner as of the date of the lis pendens must file a claim before the clerk reports the surplus as unclaimed.

Americans With Disabilities Act (ADA) Notice

In accordance with the Americans with Disabilities Act of 1990 (ADA),

If you are a person with a disability who needs any accommodation in order to participate in this proceeding, you are entitled at no cost to you, to the provision of certain assistance.

Please contact the ADA Coordinator at crtintrp@coj.net or (904) 2551695 at least 7 days before your scheduled court appearance, or immediately upon receiving this notification if the time before the scheduled appearance is less than 7 days; if you are hearing or voice impaired, call 711.

Dated this 1st day of September, 2023.

the Circuit

c/o Robin Lee Rosier 18401 Collins Ave, Suite 1139 Sunny Isles Beach, FL 33160 305-830-9406 703-997-5925 fax

2C THURSDAY, SEPTEMBER 14, 2023
DAILY RECORD
JACKSONVILLE
Sep.
robin@bryllaw.us
7/14 4 (23-06021D)
ES
7/14 4 (23-06041D) SECOND INSERTION
PUBLIC NOTICES DUVAL COUNTY • SUBSEQUENT INSERTIONS

SECOND INSERTION SECOND

INSERTION IN THE CIRCUIT COURT FOR DUVAL COUNTY, FLORIDA PROBATE DIVISION

File No.: 16-2023-CP-002153

Division: PR-B

IN RE: ESTATE OF DOROTHY FOREMAN HECK, Deceased.

NOTICE TO CREDITORS

The administration of the estate of, Dorothy Foreman Heck, deceased, whose date of death was June 24, 2022, and whose case number is 16-2023-CP-002153, is pending in the Circuit Court for Duval County, Florida, Probate Division, the address of which is 501 West Adams Street, Jacksonville, Florida 32202. The names and addresses of the personal representative and the attorney are set forth below.

All creditors of the decedent and other persons having claims or demands against decedent’s

estate on whom a copy of this notice is required to be served must file their claims with this court WITHIN THE LATER OF

3 MONTHS AFTER THE TIME OF THE FIRST PUBLICATION OF THIS NOTICE OR 30 DAYS AFTER THE DATE OF SERVICE OF A COPY OF THIS NOTICE ON THEM.

All other creditors of the decedent and other persons having claims or demands against decedent’s estate must file their claims with this court WITHIN

3 MONTHS AFTER THE DATE OF THE FIRST PUBLICATION OF THIS NOTICE.

ALL CLAIMS NOT FILED WITHIN THE TIME PERIODS SET FORTH IN SECTION 733.702 OF THE FLORIDA PROBATE CODE WILL BE FOREVER BARRED.

SECOND INSERTION IN THE CIRCUIT COURT IN AND FOR DUVAL COUNTY, FLORIDA PROBATE DIVISION

FILE NO.: 16-2023-CP-002467

DIVISION: PR-B IN RE: ESTATE OF

RONALD E. BRUNTON, DECEASED.

NOTICE TO CREDITORS

The administration of the estate of Ronald E. Brunton, deceased, whose date of death was July 27, 2023, is pending in the Circuit Court for Duval County, Florida, Probate Division, the address of which is 501 W. Adams Street, Jacksonville, FL. The names and addresses of the personal representative and the personal representative’s attorney are set forth below.

All creditors of the decedent and other persons having claims or demands against decedent’s estate

on whom a copy of this notice is required to be served must file their claims with this court ON OR BEFORE THE LATER OF

3 MONTHS AFTER THE TIME OF THE FIRST PUBLICATION OF THIS NOTICE OR 30 DAYS AFTER THE DATE OF SERVICE OF A COPY OF THIS NOTICE ON THEM. All other creditors of the decedent and other persons having claims or demand against decedent’s estate must file their claims with this court WITHIN 3 MONTHS AFTER THE DATE OF THE FIRST PUBLICATION OF THIS NOTICE.

ALL CLAIMS NOT FILED WITHIN THE TIME PERIODS SET FORTH IN FLORIDA STATUTES SECTION 733.702 WILL BE FOREVER BARRED. NOTWITHSTANDING THE TIME PERIODS SET FORTH

FOURTH INSERTION IN THE CIRCUIT COURT OF THE FOURTH JUDICIAL CIRCUIT IN AND FOR DUVAL COUNTY, STATE OF FLORIDA

CASE NO.: 16-2023-DP-177-A

DIVISION: JV-D IN THE INTEREST OF:

M. B. DOB: 03/23/2023

Minor Child SUMMONS AND NOTICE OF ACTION (BY PUBLICATION)

THE STATE OF FLORIDA

TO: Andrea Robinson, Mother

Address Unknown

YOU ARE HEREBY NOTIFIED that a Petition has been filed by the State of Florida, Department of Children and Families to terminate your parental rights and permanently commit the following children for adoption: M. B. born March 23, 2023. You are hereby commanded to appear on October 2, 2023 at 1:00 P.M., before the

IN THE FOURTH

JUDICIAL CIRCUIT COURT, IN AND FOR DUVAL COUNTY, FLORIDA

CASE NO.: 16-2023-DP-66-A

DIVISION: JV-D IN THE INTEREST OF:

M.M. DOB: 12/30/2022

MINOR CHILD

SUMMONS AND NOTICE OF ACTION

(BY PUBLICATION)

THE STATE OF FLORIDA

TO: ROSHEDA KIRKLAND, MOTHER LOCATION UNKNOWN

YOU ARE HEREBY NOTIFIED that a Petition has been filed by the State of Florida, Department of Children and Families to terminate your parental rights and permanently commit the following child for adoption: M.M. born December 30, 2022. You are hereby commanded to appear on MONDAY, OCTOBER 16, 2023, at 1:00 P.M., before the Judge W.

NOTWITHSTANDING THE TIME PERIODS SET FORTH ABOVE, ANY CLAIM FILED TWO (2) YEARS OR MORE AFTER THE DECEDENT’S DATE OF DEATH IS BARRED.

The date of first publication of this notice is September 7, 2023.

Personal Representative: Scott J. Heck 5662 Maxine Dr. Jacksonville, FL 32277

Attorney for Personal Representative:

/s/ D. Grant Leggett, Esq. Florida Bar No.: 37611 Leggett Law Offices

301 W. Bay Street, Suite 1405 Jacksonville, FL 32202

Phone: (904) 281-9102

Fax: (904) 281-9119

Email: grant@leggettlawoffices.com Sep. 7/14 12 (23-06099D)

ABOVE, ANY CLAIM FILED

TWO (2) YEARS OR MORE AFTER THE DECEDENT’S DEATH IS BARRED.

The date of first publication of this notice is: September 7, 2023.

Personal Representative:

Tiffany Brunton c/o Berg Bryant Elder Law Group, PLLC 7545 Centurion Parkway, Suite 108 Jacksonville, FL 32256

Attorney for Personal Representative:

Carla Trinca-Conley, Esq. Florida Bar No.: 119618 ctrincaconley@bbelderlaw.com

BERG BRYANT ELDER LAW GROUP 7545 Centurion Parkway, Suite 108 Jacksonville, FL 32256 (904) 398-6100 Sep. 7/14 12 (23-06100D)

NOTICE OF PUBLIC SALE

To satisfy the owner’s storage lien, PS Retail Sales, LLC will sell at public lien sale on September 22, 2023, the personal property in the below-listed units, which may include but are not limited to: household and personal items, office and other equipment. The public sale of these items will begin at 10:00 AM and continue until all units are sold. The lien sale is to be held at the online auction website, www.storagetreasures.com, where indicated. For online lien sales, bids will be accepted until 2 hours after the time of the sale specified.

PUBLIC STORAGE # 28083, 5708 Fort Caroline Road, Jacksonville, FL 32277, (904) 5080242

Time: 10:00 AM

Sale to be held at www.storagetreasures.com. A019 - Givens, Terrisha; A048Anderson, Tiffany; A071 - Raine, Mercedes; A097 - White, Shambria; B001 - Hicks, Mia; B005 - Balentine, Deleasha; B030Thornhill, Randal; B037 - Bowden, Joseph; C004 - Thomas, Samantha; C028 - Ross, Ricqueria; C030 - Frayer, Jamie; C041 - Cochran, Teresa; D015 - White, Brittany; D058 - Jones, Takera; D059Jackson, Iniki; D061 - Brunson, Charles; D067 - Santos, Amanda; D077 - Lumpkins, Amia; E014Terry, Tyrone; E029 - White, Patrick; G012 - gray, sommer; H010 - Simmons, Jazmyne; H011 - Ruiz, Maria; H022 - dozier, Johnetta; I003 - Sanders, ShaCarla; I117 - Davis, Angela; J011 - Sayles, Amber; J013 - Drake, April; J031Cain, Seth Eugene; K027 - Felder, Rhonda; L029 - White, Ashaunti; L036 - Tomlin, Kimberly; M012Branson, Charles PUBLIC STORAGE # 20137, 6333 Arlington Expressway, Jacksonville, FL 32211, (904) 220-4461

Time: 10:30 AM

Honorable Judge W. Collins Cooper, Juvenile Division, Courtroom 202, Duval County Courthouse, 501 W Adams Street, Jacksonville, FL 32202. You MUST appear at this hearing.

FAILURE TO PERSONALLY APPEAR AT THE ADVISORY HEARING CONSTITUTES CONSENT TO THE TERMINATION OF YOUR PARENTAL RIGHTS TO M. B., AND YOU MAY LOSE ALL LEGAL RIGHTS AS A PARENT TO THIS CHILD.

Pursuant to Sections 39.804(4) (d) and 63.082(6)(g), Florida Statutes, you are hereby informed of the availability of private placement with an adoption entity, as defined in Section 63.032(3), Florida Statutes. Individuals with disabilities needing a reasonable accommodation to participate in this proceeding should contact the Clerk

FOURTH INSERTION

Collins Cooper, Juvenile Division, Courtroom 202, Duval County Courthouse, 501 W Adams Street, Jacksonville, FL 32202. You MUST appear at this hearing. FAILURE TO PERSONAL-

LY APPEAR AT THE ADVISORY HEARING CONSTITUTES CONSENT TO THE TERMINATION OF YOUR PARENTAL RIGHTS TO M.M., AND YOU MAY LOSE ALL LEGAL RIGHTS AS A PARENT TO THIS CHILD.

Pursuant to Sections 39.804(4) (d) and 63.082(6)(g), Florida Statutes, you are hereby informed of the availability of private placement with an adoption entity, as defined in Section 63.032(3), Florida Statutes.

Individuals with disabilities needing a reasonable accommodation to participate in this proceeding should contact the Clerk of the Court, as soon as possible, telephone (904) 255-2000 or if

SECOND INSERTION IN THE CIRCUIT COURT OF THE FOURTH JUDICIAL CIRCUIT IN AND FOR DUVAL COUNTY, FLORIDA GENERAL JURISDICTION DIVISION

CASE NO. 16-2023-CA-001269 DIVISION: FC-A

U.S. BANK NATIONAL ASSOCIATION, Plaintiff, vs. JOSEPH WILLIAM WRITER; JESSICA JOANNE FEOLA A/K/A JESSICA FEOLA; FLORIDA HOUSING FINANCE CORPORATION; LANTANA LAKES HOMEOWNERS ASSOCIATION, INC., et al.

Defendant(s) NOTICE OF FORECLOSURE SALE NOTICE IS HEREBY GIVEN pursuant to a Final Judgment of Foreclosure dated August 28, 2023, and entered in 16-2023CA-001269 of the Circuit Court of the FOURTH Judicial Circuit in and for DUVAL County, Florida, wherein U.S. BANK NATIONAL ASSOCIATION is the Plaintiff and JOSEPH WILLIAM WRIT-

ER; JESSICA JOANNE FEOLA A/K/A JESSICA FEOLA; FLORIDA HOUSING FINANCE CORPORATION; LANTANA LAKES HOMEOWNERS ASSOCIATION, INC. are the Defendant(s). Jody Phillips as the Clerk of the Circuit Court will sell to the highest and best bidder for cash at: www.duval.realforeclose.com at 11:00 AM, on the 30th day of October, 2023 the following described property as set forth in said Final Judgment, to wit: LOT 150, LANTANA LAKES UNIT TWO, ACCORDING TO THE PLAT THEREOF, AS RECORDED IN PLAT BOOK 44, PAGES 94, 94A AND 94B, OF THE CURRENT PUBLIC RECORDS OF DUVAL COUNTY, FLORIDA. Property Address: 2821 LANTANA LAKES DRE JACKSONVILLE, FL 32246 Any person claiming an interest in the surplus from the sale, if any, other than the property owner as of the date of the lis pendens must file a claim in accordance with Florida Statutes, Section 45.031. Americans With Disabilities Act

of the Court, as soon as possible, telephone (904) 255-2000 or if hearing impaired, 1-800-9558771-(TDD); or 1800-955-8770 (V) Florida Relay Service. WITNESS my hand as clerk of said Court and the Seal thereof, this 22nd day of August, 2023.

JODY PHILLIPS, as Clerk of Court

By: Le My Le

As Deputy Clerk (Court Seal)

Margaret “Molly” McLendon, Esquire Florida Bar Number: 120269 1845 Town Center Blvd., Suite 240 Fleming Island, FL 32003 Phone: (904) 571-2858 Margaret.McLendon@ myflfamilies.com Wendy.Cusick@myflfamilies.com

Aug. 24/31,

Sep. 7/14 28 (23-05589D)

hearing impaired, 1-800-9558771-(TDD); or 1800-955-8770 (V) Florida Relay Service.

WITNESS my hand as clerk of said Court and the Seal thereof, this 22nd day of August, 2023.

JODY PHILLIPS, as Clerk of Court

By: Le My Le As Deputy Clerk (Court Seal) Dominic Piscitello, Esquire Florida Bar Number: 118856 Department of Children and Families

Children’s Legal Services 1845 Town Center Blvd., Suite 240 Orange Park, FL 32003

Telephone: (904) 521-2392

Dominic.piscitello@ myflfamilies.com Barbara.rivera1@ myflfamilies.com

Aug. 24/31

Sep. 7/14 28 (23-05574D)

(ADA) Notice

In accordance with the Americans with Disabilities Act of 1990 (ADA),

If you are a person with a disability who needs any accommodation in order to participate in this proceeding, you are entitled at no cost to you, to the provision of certain assistance. Please contact the ADA Coordinator at crtintrp@coj.net or (904) 2551695 at least 7 days before your scheduled court appearance, or immediately upon receiving this notification if the time before the scheduled appearance is less than 7 days; if you are hearing or voice impaired, call 711.

Dated this 5th day of September, 2023.

JODY PHILLIPS As Clerk of the Court

By: Tonya Mooradian As Deputy Clerk (Court Seal)

Attorneys for Plaintiff

Robertson, Anschutz, Schneid, Crane & Partners, PLLC, Boca Raton, FL 33487

Telephone: 561-241-6901

Fax: 561-997-6909

22-089801 - AsB Sep. 7/14 12 (23-06084D)

Sale to be held at www.storagetreasures.com.

A016 - Ezzo, Joshua; A053 - Foglia, Nicolle; A064 - Hopkins, Arrielle; A072 - Muhammad, Valgenia; B007 - Martinez, Juan; C015Fowells, Regeena; C023 - Little, Chris; C042 - hayes, Nathaniel; C068 - L.O.E Life LLC Jackson, Sarah; D016 - Jordan-Baggett, Angel S; D054 - Stewart, Krys; E017 - parker, Kenya; E018Hopkins, Arrielle; E019 - Bristol, Shakita; E035 - Sweatt, Austin; F011 - Thayer, Amanda; F016heath, Shari

PUBLIC STORAGE # 21713, 5340 Catoma Street, Jacksonville, FL 32210, (904) 508-0208

Time: 11:30 AM

Sale to be held at www.storagetreasures.com.

B010 - Amis, Romanito; B020 - Johnson, Robert; B036 - Belle, Ashley; C040 - Sutherland, Yolanda; C065 - Clarke, Laquisha; D014 - cavett, Jessica; D026 - Lewis, Christopher; D084 - Little, Gerrard; D104 - Hayes, Keeona; E008 - Geissler, Joshua; E014 - lisbon, Summer; E029 - Thomas, Koshanna; E061 - Parker, Courtney Ricardo; E063 - Aviles, Nancy; E081 - Fleming, Ramie; E122 - Custis, Frances; E139 - Priester, Vincent; F019 - Branch, Clarissa; F113Lambert, Suellen; F130 - Watley, maritza.

PUBLIC STORAGE # 25703, 1200 Shetter Ave, Jacksonville Beach, FL 32250, (904) 289-

1885

Time: 11:45 AM

Sale to be held at www.storagetreasures.com.

0229 - Moran, Dennis; 0234 - Reddreed, Reginald; 0265Bowman, Diana; 0417 - Sanchez, Gizelle; 0709 - Sterling, Tonya; 0718 - Morris, Brent; 0927 - Webb, Shawna; 1420 - Lundy, Suzann; 2023 - Goolsby, Elston

Sale to be held at www.storagetreasures.com.

A014 - Lockley, Ryan; A021Huling, Clarance; A032 - longdon, george; A036 - Singleton, April; B002 - Harris, Alexandria; B017 - Gaines, Lynn; C026 - Montanez, Maria; C040 - jemison, steven; C049 - Gallander, Adria; D031Nelson-Jordan, Artishia; D050Goodman, Jovonte; D053 - Daniels, Donovan; E059 - mitchell, Brittni; F005 - rogers, Timuquana; F022 - McCoy, Peter; F040 - jordan, Jaque; F061 - Gray, April Morgan; F066 - Thomas, Katie; F085 - Davis, Josette; G045 - Skidmore, Brandon; H015 - pernerewski, chester; J047 - berhe, kibrom; J107 - bartley, dericka; L022 - Taylor, Russell PUBLIC STORAGE # 28332, 6219 Roosevelt Blvd, Jacksonville, FL 32244, (904) 508-0248

Time: 10:45 AM

Sale to be held at www.storagetreasures.com.

007 - Bostic, Tiffany; 016 - Taylor, Angel; 053 - Graham, Tommy; 079 - Murray, Mark; 084 - Meghani, Humberto; 195 - Shipp, Jessica; 210 - McCarron, John; 220Mack, Phyllis; 254 - ent, louis; 314 - Buggs, Tori; 367 - Champion, Stephanie; 388 - Hargrave, Herman; 400 - Gennette, Kelley; 412Kelly, Chad; 432 - abraham, Leyia; 436 - Akins, Kastella

PUBLIC STORAGE # 28085, 3424 Southside Blvd, Jacksonville, FL 32216, (904) 515-2490

Time: 11:00 AM

Sale to be held at www.storagetreasures.com.

1103 - Washington, Nicole; 1123 - Churchwell, Renee; 1215 - Lucas, Steven; 2003 - Frederick, Jessica; 2015 - mahon, Melissa; 3006Northrop, Dianne; 3033 - Small, Harry; 4014 - Fletcher, Enziiya; 4080 - Jones, Demetree; 5030 - Crane, Jessica; 5080 - Girard, Alexandria M; 5093 - KEOWNS, Ben; 5094 - Hill, Twila; 5177Lineberry, Brianna; 5210 - Webb, Michael; 6067 - Simmons, Sirrea; 6070 - Folds, Raven; 6119Johnson, Aaron; 6126 - Jennings, KeAnna; 6127 - Sciara, Joseph; 7047 - Bunch, Jacob; 8001 - Rose, Erica; 8012 - Encarnacion, Victor; 8021 - Thrasher, Joel; 8064 - Rose, Jimmie; 9023 - Villegas, Luis; 9032 - Moore, Trista

PUBLIC STORAGE # 20713, 271 Blanding Blvd, Orange Park, FL 32073, (904) 429-4119

Time: 11:15 AM

A006 - Penn, JAYSON; B008Renfrow, Vincent; B031 - Johnson, Quinetta; B048 - franklin, jekeita; C005 - Moody, Bradley; C014Baker, Damon; C020 - Wilson, Charmaine; D024 - McCray, Christopher; D031 - Isom, Adrianna; D038 - Beesley, Jessica; E035Miller, Carolyn; E044 - Ruth, Sheldon; E062 - Smith, Jessica; E068 - nauden, Jordan; E069 - Wilson, Marvin; E092 - Weaver, Makayla; F009 - Koch, Nevin; F021WILLIAMS, SHAWNTRELL; F025 - Andrews, Natasha; H014 - Crossley, Anthony; J004 - Ezell, Kadijah; J009 - Bryan, Harley; K006 - Black Signature Holdings Cowyin, Willie PUBLIC STORAGE # 27233, 5757 University Blvd W, Jacksonville, FL 32216, (904) 515-2610

Time: 10:30 AM

Sale to be held at www.storagetreasures.com.

C001 - Smith, Lamisha; C007 - Smith, Anna; C014 - Athan, Carrie; C018 - bush, kierston; D023Golphin, Keshawn; D047 - Payton, Akaisha; D053 - Holt, Kenneth Leon; D054 - Swauger, Heidi; E040 - Ocana, Rosanna; F007Ivey, Jonnie; F011 - Ivey, Jonnie; F040 - Williams, Felesia; G007 - Cogdell, Bridgett; G035 - Butler, Daniel; G060 - Mathews, Latonia S; G072 - Milton, Antonio; H010 - Walthour, Merdith; H023 - BELL, OPHEL; H026 - Mitchell, Charles; H038 - Norfolk, Jeremey; J012 - King, Ronza; J043 - MIMS AND SON CONSTRUCTION LLC

Mims, Mack; K022 - Brown, Sarra PUBLIC STORAGE # 20912, 8523 Baymeadows Road, Jacksonville, FL 32256, (904) 4698447

Time: 10:45 AM

Sale to be held at www.storagetreasures.com.

Public sale terms, rules, and regulations will be made available prior to the sale. All sales are subject to cancellation. We reserve the right to refuse any bid. Payment must be in cash or credit cardno checks. Buyers must secure the units with their own personal locks. To claim tax-exempt status, original RESALE certificates for each space purchased is required.

By PS Retail Sales, LLC, 701 Western Avenue, Glendale, CA 91201. (818) 244-8080

NOTICE OF PUBLIC SALE

To satisfy the owner’s storage lien, PS Retail Sales, LLC will sell at public lien sale on September 25, 2023, the personal property in the below-listed units, which may include but are not limited to: household and personal items, office and other equipment. The public sale of these items will begin at 10:00 AM and continue until all units are sold. The lien sale is to be held at the online auction website, www.storagetreasures.com, where indicated. For online lien sales, bids will be accepted until 2 hours after the time of the sale specified.

PUBLIC STORAGE # 21013, 979 Lane Ave, South, Jacksonville, FL 32205, (904) 503-9685

Time: 10:00 AM

Sale to be held at www.storagetreasures.com.

B027 - Thompson, Dante; B034

- kristof, heather; C001 - Rossin, Tony; C002 - Naba, Glenda; D001 - Brinson, Samaraya; D060 - whitney, James; D064 - Buckner, Naila; D067 - Cannon, Vernisa; D068 - McClain, George; E009 - Roark, Carol; E013 - Thomas, Erika; E032 - Wackrow, Jamie; E035 - Thomas, Everett; E045wells, Mary; E047 - white, Amaya; F032 - Smith, Judy; F046 - Colantuono, Dawn; G012 - Boykin, Antion; G014 - Taing, Sokun; G017 - Golden, Makayla; G037 - Jackson, Nevaeh; G048 - Strigglers, Thomasina; H022 - Alicea, Dajsha; H030 - Thomas, Jharfvan; H052 - Waring, Cinnamon; J009Williams, Saprina; J010 - Holman, Stacey; J019 - Battle Jr, Sammie; J020 - Sinclair, Johnisha; K007

- Young, Ashanti; K013 - Nelson, LaKiyyah; K022 - green, bruce; K023 - Mccoy, Shawanna; K025Redding, Daniel PUBLIC STORAGE # 24515, 6665 Wiley Road, Jacksonville, FL 32210, (904) 508-0209

Time: 10:15 AM

Sale to be held at www.storagetreasures.com.

B048 - Pride Painting of Jax Ellison, John; C061 - Jones, Savita; C065 - Dimming, Eric; C084Lindsey, Devin; C103 - Berrios, Victor/Berrios, Joy; E087 - Ford, Nichole; E109 - Nelson, Morgan; F026 - ERNEST, ALAN R; F041Pollard, Melvia; F053 - Campbell, Nathaniel; G024 - Bozone, Drew PUBLIC STORAGE # 28071, 8727 Philips Hwy, Jacksonville, FL 32256, (904) 508-0239

Time: 11:00 AM

Sale to be held at www.storagetreasures.com.

143 - McClenny, Travis; 169Beaudry, Amber; 179 - Griffith, Lance R; 185 - Elzonfoly, Kamal; 197 - Ricard, Gabriely; 249 - Lowe, Shantoria; 258 - roberts, lauren; 354 - Thompson, Jazmine; 382 - cordova martinez, carlos; 528 - Owens, Darryl; 538 - Thomas, Dianne Brown; A104 - Wyche, Kechia; A127 - Shealey, Juanita; A137 - Beyl, James; A151 - alexander, Precious; A154 - Novembre, Linda; A187 - Patterson, Crystal; A195 - Smith, Kristian; A73 - Motley, Synclaire

PUBLIC STORAGE # 28088, 5200 Palm Valley Road, Ponte Vedra Beach, FL 32082, (904) 385-4224

Time: 11:15 AM

Sale to be held at www.storagetreasures.com.

605 - Toomy, Jayden; C021Crete coatings Clark, Cody; C512Neadeau, Rick; P042 - Crete coatings Clark, Cody

PUBLIC STORAGE # 27207, 3211 San Pablo Rd S, Jacksonville, FL 32224, (904) 664-8133

Time: 11:30 AM

Sale to be held at www.storagetreasures.com.

1106 - Ross, Shquanna; 1107Sargent, Nicole; 2045 - Churchwell, Renee; 3003 - Pippenger, Cherry L; 3023 - Milton, Mark; 3052 - Shannon, Niki; 3160 - Martin, Patricia; 3185 - Varn, Anne; 3206 - Barnes, Jonathan; 4013 - Anderson, Jabari; 4074 - Hiers, Joey; 4118 - Anderson, Sandria

Public sale terms, rules, and regulations will be made available prior to the sale. All sales are subject to cancellation. We reserve the right to refuse any bid. Payment must be in cash or credit cardno checks. Buyers must secure the units with their own personal locks. To claim tax-exempt status, original RESALE certificates for each space purchased is required.

By PS Retail Sales, LLC, 701 Western Avenue, Glendale, CA 91201. (818) 244-8080. Sep. 7/14 27 (23-06026D)

THURSDAY, SEPTEMBER 14, 2023 3C JACKSONVILLE DAILY RECORD
Reliable. Fast. It’s Our Way of Reporting! 121 W. Forsyth St., Suite 150 // Jacksonville FL 32202 // 904.356.2466 www.jaxdailyrecord.com Daily Record JA CKS ONVILLE Daily Record JA CKS ONVILLE Daily Record JA CKS ONVILLE Daily Record JA CKS ONVILLE
Accurate.
PUBLIC NOTICES DUVAL COUNTY • SUBSEQUENT INSERTIONS

SECOND INSERTION IN THE CIRCUIT COURT, FOURTH JUDICIAL CIRCUIT, IN AND FOR DUVAL COUNTY, FLORIDA CASE NO.: 16-2021-CP-003867 DIVISION: PR-B IN RE: ESTATE OF ZACHARY ANDREW CARLSON, Deceased.

FORMAL NOTICE OF ACTION ON PETITION FOR ADMINISTRATION

To: Robert Andrew Carlson (last known addresses)

5200 Southwest 25th Boulevard, Unit 2201 Gainesville, Florida 32608 OR 3175 West International Speedway Blvd. Apartment 208 Daytona Beach, Florida 32124-1019

YOU ARE HEREBY NOTIFIED that a Petition for Administration has been filed in this court, a true copy of which accompanies this formal notice. You are hereby required to serve a copy of your written defenses, if any, to the action to Lawrence C. Datz, Esq. of Datz & Daz P.A., petitioner's attorney, whose address is 6816 Southpoint Parkway, Suite 101, Jacksonville, Florida 32202 on or before 28 days nor more than 60 days after first publication, and file the original with the clerk of this court at 501 W. Adams Street, Jacksonville, Florida 32202 either before or immediately after service. Failure to serve and file written defenses as required may result in a default judgment or order for the relief demanded in the pleading or motion, without further notice

Dated this 23rd day of August, 2023.

Dated: September 6, 2023

JODY PHILLIPS CLERK OF THE CIRCUIT COURT

Deputy Clerk (Court Seal) Sep. 7/14/21/28 11 (23-06104D)

SECOND INSERTION

IN THE CIRCUIT COURT FOR DUVAL COUNTY, FLORIDA PROBATE DIVISION

File No. 16-2023-CP-002058 Division PR-A IN RE: ESTATE OF WARREN HEADLEY

Deceased.

NOTICE TO CREDITORS

The administration of the estate of Warren Headley, deceased, whose date of death was June 28, 2023, is pending in the Circuit Court for Duval County, Florida, Probate Division, the address of which is 501 West Adams Street, Jacksonville, Florida 32202. The names and addresses of the personal representative and the personal representative’s attorney are set forth below.

All creditors of the decedent and other persons having claims or demands against decedent’s estate on whom a copy of this notice is required to be served must file their claims with this court ON OR BEFORE THE LATER OF 3 MONTHS AFTER THE TIME OF THE FIRST PUBLICATION OF THIS NOTICE OR 30 DAYS AFTER THE DATE OF SERVICE OF A COPY OF THIS NOTICE ON THEM.

All other creditors of the decedent and other persons having claims or demands against decedent’s estate must file their claims with this court WITHIN 3 MONTHS AFTER THE DATE OF THE FIRST PUBLICATION OF THIS NOTICE. ALL CLAIMS NOT FILED WITHIN THE TIME PERIODS SET FORTH IN FLORIDA STATUTES SECTION 733.702 WILL BE FOREVER BARRED. NOTWITHSTANDING THE TIME PERIODS SET FORTH ABOVE, ANY CLAIM FILED TWO (2) YEARS OR MORE AFTER THE DECEDENT’S DATE OF DEATH IS BARRED. The date of first publication of this notice is September 7, 2023.

Personal Representative: Eric Boardman 5552 Paulbett Drive Jacksonville, Florida 32277

Attorney for Personal Representative: Marcella A. Taylor

Attorney Florida Bar Number: 581208 731 Duval Station Road Suite 107-183 Jacksonville, FL 32218

Telephone: (904) 714-0307

Fax: (904) 714-0370

E-Mail: mtaylorlawoffice@gmail.com Sep. 7/14 6 (23-06058D)

SECOND INSERTION

IN THE CIRCUIT COURT, FOURTH JUDICIAL CIRCUIT, IN AND FOR DUVAL COUNTY, FLORIDA

CASE NO.: 16-2023-CP-000213

DIVISION: PR-B IN RE: THE ESTATE OF RICKEY K. DAVIS-TURNER, DECEASED. NOTICE TO CREDITORS

The administration of the estate of RICKEY K. DAVIS-TURNER, deceased, File Number 16-2023CP-000213, is pending in the Circuit Court for Duval County, Florida, Probate Division, the address of which is 501 W Adams St. Jacksonville, FL 32202-4628. The names and addresses of the personal representative and the personal representative’s attorney are set forth below.

All creditors of the decedent and other persons having claims or demands against decedent’s estate, including unmatured, contingent or unliquidated claims, on whom a copy of this notice is served must file their claims with this court WITHIN THE LATER OF 3 MONTHS AFTER THE DATE OF THE FIRST PUBLICATION OF THIS NOTICE OR 30 DAYS AFTER THE DATE OF SERVICE OF A COPY OF THIS NOTICE ON THEM.

All other creditors of the decedent and other persons having claims or demands against decedent’s estate, including unmatured, contingent or unliquidated claims, must file their claims with this court WITHIN 3 MONTHS AFTER THE DATE OF THE FIRST PUBLICATION OF THIS NOTICE.

ALL CLAIMS NOT SO FILED WILL BE FOREVER BARRED. The date of first publication of this Notice is September 7, 2023.

Personal Representative: Charlotte Jones 2224 Humble Hollow Pl. Las Vegas, NV 89084

Attorney for Personal Representative: Raymond J. Dailey, Esquire Bar Number: 1017968 The Dailey Law Firm 6441 S. Chickasaw Trail, Suite 139 Orlando, FL, 32829

Phone: 407.900.7335

Email: r.dailey@thedaileylawfirm.com Sep. 7/14 11 (23-06103D)

IN THE CIRCUIT COURT, FOURTH JUDICIAL CIRCUIT, IN AND FOR DUVAL COUNTY, FLORIDA Case No.: 16-2023-CP-001242

Division: PR-A IN RE: ESTATE OF RICHARD LEE VAL, Deceased.

NOTICE TO CREDITORS

If you have been served with a copy of this notice and you have any claim or demand against the decedent’s estate, even if that claim is unmatured, contingent, or unliquidated, you must file your claim with the court ON OR BEFORE THE LATER OF A DATE THAT IS 3 MONTHS AFTER THE FIRST PUBLICATION OF THIS NOTICE OR 30 DAYS AFTER YOU RECEIVE A COPY OF THIS NOTICE.

All other creditors of the decedent and other persons who have claims or demands against the decedent’s estate, including unmatured, contingent, or unliquidated claims, must file their claims with the court ON OR BEFORE THE DATE THAT IS 3 MONTHS AFTER THE FIRST PUBLICATION OF THIS NOTICE. ALL CLAIMS NOT FILED WITHIN THE PERIODS SET FORTH IN SECTION 733.302, FLORIDA STATUTES, WILL BE FOREVER BARRED.

EVEN IF A CLAIM IS NOT BARRED BY THE LIMITATIONS DESCRIBED ABOVE, ALL CLAIMS THAT HAVE NOT BEEN FILED WILL BE BARRED TWO YEARS AFTER DECEDENT’S DEATH. The address of the court where this probate is pending is: 501 W. Adams Street, Jacksonville, FL 32202. The date of death of the decedent is: March 10, 2023. The date of first publication of this notice is: September 7, 2023.

Petitioner: Laura Whetstine c/o Law Offices of Mark F. Moss, PLLC 12276 San Jose Blvd., Suite 520 Jacksonville, FL 32223 Attorney for Petitioner MARK F. MOSS,

FOURTH INSERTION

IN THE CIRCUIT COURT, FOURTH JUDICIAL CIRCUIT, IN AND FOR DUVAL COUNTY, FLORIDA CASE NO.: 16-2023-DR-003622-FM

DIVISION: FM-E

IN RE: THE MARRIAGE OF CARLOS R. GONZALEZ JIMENEZ Husband, vs. AMARILIS RUIZ GOMEZ, Wife. NOTICE OF ACTION FOR DISSOLUTION OF MARRIAGE

TO: AMARILIS RUIZ GOMEZ

HC-6 Box 14412 Hatillo, Puerto Rico 00659

YOU ARE NOTIFIED that an action for dissolution of marriage has been filed against you and that you are required to serve a copy of your written defenses, if any, to it on Victor H. Acosta c/o Leanne Perez, Esquire, Attorney for Petitioner, whose address is Leanne Perez, P.A., 4600 Touchton Road East, Suite 150, Jacksonville, Florida 32246, on or before October 2, 2023 and file the original with the Clerk of this Court at Duval County Courthouse, 501 West Adams Street, Jacksonville, Florida 32202, before service on

Petitioner’s attorney or immediately thereafter. If you fail to do so, a default may be entered against you for the relief demanded in the petition.

Copies of all court documents in this case, including orders, are available at the Clerk of the Circuit Court’s office. You may review these documents upon request.

You must keep the Clerk of the Circuit Court’s office notified of your current address. (You may file Designation of Current Mailing and E-Mail Address, Florida Supreme Court Approved Family Law Form 12.915.) Future papers in this lawsuit will be mailed or e-mailed to the address(es) on record at the clerk’s office.

WARNING: Rule 12.285, Florida Family Law Rules of Procedure, requires certain automatic disclosure of documents and information. Failure to comply can result in sanctions, including dismissal or striking of pleadings.

DATED August 18, 2023. JODY PHILLIPS CLERK OF THE CIRCUIT COURT By: Tiffany Gillespie Deputy Clerk (Court Seal)

Aug. 24/31

Sep. 7/14 27 (23-05527D)

SECOND INSERTION

IN THE FOURTH JUDICIAL CIRCUIT COURT, IN AND FOR DUVAL COUNTY, FLORIDA CASE NO.: 16-2023-DP-169-ABC DIVISION: JV-B

IN THE INTEREST OF:

A.B. DOB: 10/08/2016

C.J. DOB: 06/19/2020

K.B. DOB: 12/26/2021 MINOR CHILDREN SUMMONS AND NOTICE OF ACTION (BY PUBLICATION)

THE STATE OF FLORIDA

TO: DONESHIA BROWN, MOTHER

LOCATION UNKNOWN

YOU ARE HEREBY NOTIFIED that a Petition has been filed by the State of Florida, Department of Children and Families to terminate your parental rights and permanently commit the following children for adoption: A.B. born October 8, 2016; C.J. born June 19, 2020; and K.B. born December 26, 2021. You are hereby commanded to appear on MONDAY, OCTOBER 9, 2023, at 1:00 P.M., before the Honorable Michael Kalil, Juvenile Division, Courtroom 204, Duval County Courthouse, 501 W Adams Street, Jacksonville, FL 32202. You MUST appear at this hearing.

FAILURE TO PERSONALLY APPEAR AT THE ADVISORY HEARING CONSTITUTES CONSENT TO THE TERMINATION OF YOUR PARENTAL RIGHTS TO A.B., C.J. AND

IN THE CIRCUIT COURT OF THE FOURTH JUDICIAL CIRCUIT, IN AND FOR DUVAL COUNTY, FLORIDA CIVIL DIVISION CASE NO.: 16-2022-CA-002337 Division FC-C FREEDOM MORTGAGE CORPORATION PLAINTIFF, VS. UNKNOWN HEIRS, BENEFICIARIES, DEVISEES, ASSIGNEES, LIENORS, CREDITORS, TRUSTEES, AND ALL OTHERS WHO MAY CLAIM AN INTEREST IN THE ESTATE OF SARAH J. HITER A/K/A SARAH HITER ET AL., DEFENDANTS.

NOTICE OF FORECLOSURE SALE

NOTICE IS HEREBY GIVEN pursuant to Final Judgment of Foreclosure dated the 18th day of August, 2023, and entered in Case No. 16-2022-CA-002337, of the Circuit Court of the Fourth Judicial Circuit in and for Duval County, Florida, wherein Freedom Mortgage Corporation is the Plaintiff and CARL CRAIG HITER A/K/A CRAIG HITER; JEFFERY KEITH HITER; DONNA LYNN WILSON; TINA MARIE FRYER; UNKNOWN SPOUSE OF SARAH J. HITER A/K/A SARAH HITER; UNKNOWN HEIRS, BENEFICIARIES, DEVISEES, ASSIGNEES, LIENORS, CREDITORS, TRUSTEES, AND ALL OTHERS WHO MAY CLAIM AN INTEREST IN THE ESTATE OF SARAH J. HITER A/K/A SARAH HITER; KENT HITER A/K/A DALMA KENT HITER; COMPASS BANK; CITY OF JACKSONVILLE, FLORIDA; and UNKNOWN TENANT IN POSSESSION OF THE SUBJECT PROPERTY N/K/A CASSY HITER are defendants. Jody Phillips as the Clerk of the Circuit Court shall sell to the highest and best bidder for cash electronically at: www.duval.realforeclose.com at 11:00 A.M. on the 17th day of October, 2023, the following described property as set forth in said Final Judgment, to wit: LOT 6, BLOCK 4, REPLAT

K.B., AND YOU MAY LOSE ALL LEGAL RIGHTS AS A PARENT TO THESE CHILDREN. Pursuant to Sections 39.804(4) (d) and 63.082(6)(g), Florida Statutes, you are hereby informed of the availability of private placement with an adoption entity, as defined in Section 63.032(3), Florida Statutes.

Individuals with disabilities needing a reasonable accommodation to participate in this proceeding should contact the Clerk of the Court, as soon as possible, telephone (904) 255-2000 or if hearing impaired, 1-800-9558771-(TDD); or 1800-955-8770 (V) Florida Relay Service.

WITNESS my hand as clerk of said Court and the Seal thereof, this 5th day of September, 2023.

JODY PHILLIPS, as Clerk of Court

By: Le My Le As Deputy Clerk (Court Seal)

/s/ Frank George Mackoul II Frank George Mackoul II, Esq. Children’s Legal Services Department of Children & Families 1845 Town Center Blvd., Suite 240 Fleming Island, Florida 32003 Florida Bar No.: 139807

Email: Frank.Mackoul@ myflfamilies.com debbie.deforge@myflfamilies.com Sep. 7/14/21/28 6 (23-06049D)

OF ARGYLE FOREST EAST VILLAGE, UNIT FIVE AND SIX, ACCORDING TO PLAT THEREOF RECORDED IN PLAT BOOK 36. PAGE(S) 79, 79A, AND 79B, CURRENT PUBLIC RECORDS OF DUVAL COUNTY, FLORIDA.

IF YOU ARE A PERSON CLAIMING A RIGHT TO FUNDS REMAINING AFTER THE SALE, YOU MUST FILE A CLAIM WITH THE CLERK NO LATER THAN THE DATE THAT THE CLERK REPORTS THE FUNDS AS UNCLAIMED. IF YOU FAIL TO FILE A CLAIM, YOU WILL NOT BE ENTITLED TO ANY REMAINING FUNDS. AFTER THE FUNDS ARE REPORTED AS UNCLAIMED, ONLY THE OWNER OF RECORD AS OF THE DATE OF THE LIS PENDENS MAY CLAIM THE SURPLUS. Americans With Disabilities Act (ADA) Notice

In accordance with the Americans with Disabilities Act of 1990 (ADA), If you are a person with a disability who needs any accommodation in order to participate in this proceeding, you are entitled at no cost to you, to the provision of certain assistance. Please contact the ADA Coordinator at crtintrp@coj.net or (904) 255-1695 at least 7 days before your scheduled court appearance, or immediately upon receiving this notification if the time before the scheduled appearance is less than 7 days; if you are hearing or voice impaired, call 711. Dated this 1st day of September, 2023.

JODY PHILLIPS Clerk Of The Circuit Court By: Brittany Weimer Deputy Clerk (Court Seal)

Submitted by: Miller, George & Suggs, PLLC ATTORNEY FOR PLAINTIFF 210 N. University Drive, Suite 900 Coral Springs, FL 33071 DESIGNATED PRIMARY E-MAIL FOR SERVICE

PURSUANT TO FLA.

SECOND INSERTION

IN THE FOURTH JUDICIAL CIRCUIT COURT, IN AND FOR DUVAL COUNTY, FLORIDA

CASE NO.: 16-2023-DP-234-A

DIVISION: JV-D

IN THE INTEREST OF:

D.R. DOB: 05/04/2023

MINOR CHILD SUMMONS AND NOTICE OF ACTION

(BY PUBLICATION)

THE STATE OF FLORIDA

TO: TANESHA RODGERS, MOTHER LOCATION UNKNOWN

YOU ARE HEREBY NOTI-

FIED that a Petition has been filed by the State of Florida, Department of Children and Families to terminate your parental rights and permanently commit the following child for adoption: D.R. born May 4, 2023. You are hereby commanded to appear on MONDAY, OCTOBER 9, 2023, at 1:00 P.M., before the Honorable Michael Kalil, Juvenile Division, Courtroom 204, Duval County Courthouse, 501 W Adams Street, Jacksonville, FL 32202. You MUST appear at this hearing.

FAILURE TO PERSONALLY APPEAR AT THE ADVISORY HEARING CONSTITUTES CONSENT TO THE TERMINATION OF YOUR PARENTAL RIGHTS TO D.R., AND YOU MAY LOSE ALL LEGAL RIGHTS

AS A PARENT TO THIS CHILD.

Pursuant to Sections 39.804(4) (d) and 63.082(6)(g), Florida Statutes, you are hereby informed of the availability of private placement with an adoption entity, as defined in Section 63.032(3), Florida Statutes. Individuals with disabilities needing a reasonable accommodation to participate in this proceeding should contact the Clerk of the Court, as soon as possible, telephone (904) 255-2000 or if hearing impaired, 1-800-9558771-(TDD); or 1800-955-8770 (V) Florida Relay Service.

WITNESS my hand as clerk of said Court and the Seal thereof, this 5th day of September, 2023. JODY PHILLIPS, as Clerk of Court

By: Le My Le As Deputy Clerk (Court Seal)

/s/ Frank George Mackoul II Frank George Mackoul II, Esq. Children’s Legal Services Department of Children & Families 1845 Town Center Blvd., Suite 240 Fleming Island, Florida 32003 Florida Bar No.: 139807 Email: Frank.Mackoul@ myflfamilies.com debbie.deforge@myflfamilies.com Sep. 7/14/21/28 6 (23-06050D)

SECOND INSERTION

IN THE CIRCUIT COURT OF THE FOURTH JUDICIAL CIRCUIT IN AND FOR DUVAL COUNTY, FLORIDA GENERAL JURISDICTION DIVISION CASE NO. 16-2022-CA-006645 Division: FC-F COMMUNITY FIRST CREDIT UNION OF FLORIDA, Plaintiff, vs. KELVIN B WILLIAMS, AS PERSONAL REPRESENTATIVE OF THE ESTATE OF THELMA J. WILLIAMS A/K/A THELMA WILLIAMS A/K/A THELMA JUANITA WILLIAMS, DECEASED, et al. Defendant(s).

NOTICE OF FORECLOSURE SALE NOTICE IS HEREBY GIVEN pursuant to a Final Judgment of Foreclosure dated May 08, 2023, and entered in 16-2022CA-006645 of the Circuit Court of the FOURTH Judicial Circuit in and for Duval County, Florida, wherein COMMUNITY FIRST CREDIT UNION OF FLORIDA is the Plaintiff and KELVIN B. WILLIAMS, AS PERSONAL REPRESENTATIVE OF THE ESTATE OF THELMA J. WILLIAMS A/K/A THELMA WILLIAMS A/K/A THELMA JUANITA WILLIAMS, DECEASED are the Defendant(s). Jody Phillips as the Clerk of the Circuit Court will sell to the highest and best bidder for cash at: www.duval.realforeclose.com at 11:00 AM, on September 27, 2023, the following described property as set forth in said Final Judgment, to wit: LOT 20, IN BLOCK 12, OF UNIT NO. 3, PEARL COURT,

ACCORDING TO THE PLAT THEREOF, AS RECORDED IN PLAT BOOK 12, AT PAGE 87 AND 88, OF THE PUBLIC RECORDS OF DUVAL COUNTY, FLORIDA. Property Address: 5902 SPRINGFIELD BLVD, JACKSONVILLE, FL 32208

Any person claiming an interest in the surplus from the sale, if any, other than the property owner as of the date of the lis pendens must file a claim in accordance with Florida Statutes, Section 45.031. Americans With Disabilities Act (ADA) Notice In accordance with the Americans with Disabilities Act of 1990 (ADA), If you are a person with a disability who needs any accommodation in order to participate in this proceeding, you are entitled at no cost to you, to the provision of certain assistance. Please contact the ADA Coordinator at crtintrp@coj.net or (904) 2551695 at least 7 days before your scheduled court appearance, or immediately upon receiving this notification if the time before the scheduled appearance is less than 7 days; if you are hearing or voice impaired, call 711.

Dated this 1st day of September, 2023.

JODY PHILLIPS As Clerk of the Court

By: Brittany Weimer As Deputy Clerk (Court Seal) Robertson, Anschutz, Schneid, Crane & Partners, PLLC Attorneys for Plaintiff 6409 Congress Ave., Suite 100, Boca Raton, FL 33487 Telephone: 561-241-6901 Fax: 561-997-6909 22-058949 - MaM Sep. 7/14 6 (23-06038D)

SECOND INSERTION

IN THE CIRCUIT COURT OF THE FOURTH JUDICIAL CIRCUIT IN AND FOR DUVAL COUNTY, FLORIDA GENERAL JURISDICTION

DIVISION

CASE NO. 16-2019-CA-005351

DIVISION: FC-F

U.S. BANK TRUST NATIONAL ASSOCIATION AS TRUSTEE FOR GIFM HOLDINGS TRUST, Plaintiff, vs. CASSIUS WILLIAMS A/K/A

CASSIUS C. WILLIAMS, et al.

Defendant(s). NOTICE OF FORECLOSURE SALE

NOTICE IS HEREBY GIVEN

pursuant to a Final Judgment of Foreclosure dated December 13, 2021, and entered in 16-2019-CA005351 of the Circuit Court of the FOURTH Judicial Circuit in and for Duval County, Florida, wherein WILMINGTON SAVINGS FUND SOCIETY, FSB, D/B/A CHRISTIANA TRUST, NOT INDIVIDUALLY BUT AS TRUSTEE FOR PRETIUM MORTGAGE ACQUISITION TRUST is the Plaintiff and CASSIUS WILLIAMS A/K/A CASSIUS C. WILLIAMS; STATE OF FLORIDA DEPARTMENT OF REVENUE; UNKNOWN

TENANT IN POSSESSION #1

NKA REGINALD HALL are the Defendant(s). Jody Phillips as the Clerk of the Circuit Court will sell to the highest and best bidder for cash at: www.duval.realforeclose.com

at 11:00 AM, on September 28, 2023, the following described property as set forth in said Final Judgment, to wit: LOT 10, JACKSONVILLE NORTH ESTATES, ACCORDING TO PLAT

THEREOF AS RECORDED IN PLAT BOOK 43, PAGES 59, 59A, 59B, 59C, AND 59D OF THE CURRENT PUBLIC RECORDS OF DUVAL COUNTY, FLORIDA.

Property Address: 439 JAX ESTATE DR NORTH, JACKSONVILLE, FL 32218

Any person claiming an interest in the surplus from the sale, if any, other than the property owner as of the date of the lis pendens must file a claim in accordance with Florida Statutes, Section 45.031. Americans With Disabilities Act (ADA) Notice

In accordance with the Americans with Disabilities Act of 1990 (ADA),

If you are a person with a disability who needs any accommodation in order to participate in this proceeding, you are entitled at no cost to you, to the provision of certain assistance.

Please contact the ADA Coordinator at crtintrp@coj.net or (904) 2551695 at least 7 days before your scheduled court appearance, or immediately upon receiving this notification if the time before the scheduled appearance is less than 7 days; if you are hearing or voice impaired, call 711.

Dated this 1st day of September, 2023.

JODY PHILLIPS As Clerk of the Court

By: Brittany Weimer As Deputy Clerk (Court Seal) Robertson, Anschutz, Schneid, Crane & Partners, PLLC Attorneys for Plaintiff 6409 Congress Ave., Suite 100, Boca Raton, FL 33487 Telephone: 561-241-6901 Fax: 561-997-6909 21-058081

4C THURSDAY, SEPTEMBER 14, 2023 JACKSONVILLE DAILY RECORD
ESQ. Florida Bar Number:
Law Offices of Mark F. Moss, PLLC 12276 San Jose Blvd., Suite 520 Jacksonville, FL 32223 Telephone: (904) 329-7242 E-Mail 1: Service@markmosslaw.com E-Mail 2: mark@markmosslaw.com Sep. 7/14 6 (23-06057D) SECOND INSERTION
119573
ADMIN 2.516 ESERVICE@MGS-LEGAL.COM Sep. 7/14 6
INSERTION
R. JUD.
(23-06043D) SECOND
- MaM Sep. 7/14 6 (23-06045D)
PUBLIC NOTICES DUVAL COUNTY • SUBSEQUENT INSERTIONS

SECOND INSERTION

THIRD INSERTION

SECOND INSERTION

IN THE CIRCUIT COURT, FOURTH JUDICIAL CIRCUIT, IN AND FOR DUVAL COUNTY, FLORIDA

CASE NO.: 16-2023-CA-010092

In Re:

DIVISION: CV-D

LIGHTING PARTNERS JAX INCORPORATED d/b/a KENROY HOME, Assignor,

To: MARK HEALY of MICHAEL MOECKER & ASSOCIATES, INC., Assignee, NOTICE OF ASSIGNMENT FOR THE BENEFIT OF CREDITORS

TO: ALL CREDITORS AND OTHER INTERESTED PARTIES

PLEASE TAKE NOTICE THAT:

1. On August 23, 2023, a petition was filed commencing an Assignment for the Benefit of Creditors proceeding, pursuant to Chapter 727, Florida Statutes, made by LIGHTING PARTNERS JAX INCORPORATED d/b/a KENROY HOME, (the “Assignor”), with its principal place of business at 3723 Regent Boulevard, Jacksonville, FL 32224, to Mark Healy of Michael

Moecker & Associates, Inc. (the “Assignee”) whose address is 1885 Marina Mile Boulevard, Suite 103, Fort Lauderdale, FL 33315.

2. Pursuant to Florida Statutes 727.105, no proceeding may be commenced against the Assignee except as provided in Chapter 727 and except in the case of a secured creditor enforcing its rights and collateral under Chapter 679, there shall be no levy, executions, attachment, or the like in the respect of any judgment against assets of the estate, other than real property, in the possession, custody, or control of the Assignee.

3. YOU ARE HEREBY further noticed that in order to receive any dividend in this proceeding you must file a proof of claim with the Assignee, Mark Healy of Michael Moecker & Associates, Inc. (the “Assignee”), whose address is 1885 Marina Mile Boulevard, Suite 103, Fort Lauderdale, FL 33315, on or before December 21, 2023 (120 days from the date of the Petition was filed).

Sep. 7/14/21/28 5 (23-06028D)

SECOND INSERTION

IN THE CIRCUIT COURT OF THE FOURTH JUDICIAL CIRCUIT IN AND FOR DUVAL COUNTY, FLORIDA

CASE NO.: 16-2023-CA-001539 Division FC-E NEWREZ LLC D/B/A/ SHELLPOINT MORTGAGE SERVICING, Plaintiff, vs. MARINTHIA T. BYIRT; UNKNOWN SPOUSE OF MARINTHIA T. BYIRT; UNKNOWN TENANT(S) IN POSSESSION #1 and #2, and ALL OTHER UNKNOWN PARTIES, et.al., Defendant(s).

NOTICE OF FORECLOSURE SALE

NOTICE IS HEREBY GIVEN pursuant to a Final Summary Judgment of Foreclosure dated August 17, 2023, entered in Civil Case No.: 16-2023-CA001539 of the Circuit Court of the Fourth Judicial Circuit in and for Duval County, Florida, wherein NEWREZ LLC D/B/A/ SHELLPOINT MORTGAGE SERVICING, Plaintiff, and MARINTHIA T. BYIRT; UNKNOWN SPOUSE OF MARINTHIA T. BYIRT, are Defendants.

I will sell to the highest bidder for cash, at: www.duval.realforeclose.com at 11:00 AM, on the 18th day of October, 2023, the following described real property as set forth in said Judgment, to wit: LOT 17, BLOCK 33, NORMANDY VILLAGE UNIT 8, A SUBDIVISION, ACCORDING TO THE PLAT THEREOF, AS RECORDED IN PLAT BOOK 29, PAGES 77

AND 77A, OF THE PUBLIC RECORDS OF DUVAL COUNTY, FLORIDA. If you are a person claiming a right to funds remaining after the sale, you must file a claim with the clerk before the clerk reports the surplus as unclaimed. If you fail to file a timely claim you will not be entitled to any remaining funds. After the funds are reported as unclaimed, only the owner of record as of the date of the Lis Pendens may claim the surplus.

Americans With Disabilities Act

(ADA) Notice

In accordance with the Americans with Disabilities Act of 1990 (ADA), If you are a person with a disability who needs any accommodation in order to participate in this proceeding, you are entitled at no cost to you, to the provision of certain assistance. Please contact the ADA Coordinator at crtintrp@coj.net or (904) 2551695 at least 7 days before your scheduled court appearance, or immediately upon receiving this notification if the time before the scheduled appearance is less than 7 days; if you are hearing or voice impaired, call 711.

WITNESS my hand and the seal of the court on September 1, 2023.

JODY PHILLIPS CLERK OF THE COURT

(Court Seal)

Attorney for Plaintiff:

Brian L. Rosaler, Esquire Popkin & Rosaler, P.A. 1701 West Hillsboro Boulevard Suite 400 Deerfield Beach, FL 33442 Telephone: (954) 360-9030 Facsimile: (954) 420-5187 Sep. 7/14 5 (23-06037D)

SECOND INSERTION

IN THE CIRCUIT COURT OF THE FOURTH JUDICIAL CIRCUIT IN AND FOR DUVAL COUNTY, FLORIDA CIVIL ACTION

CASE NO.: 16-2023-CA-001450 DIVISION: FC-C

U.S. BANK NATIONAL ASSOCIATION, Plaintiff, vs. IGOR SHVETS, et al, Defendant(s).

NOTICE OF RESCHEDULED SALE

NOTICE IS HEREBY GIVEN

Pursuant to an Order Rescheduling Foreclosure Sale dated August 9, 2023, and entered in Case No. 16-2023-CA-001450 of the Circuit Court of the Fourth Judicial Circuit in and for Duval County, Florida in which U.S. Bank National Association, is the Plaintiff and Igor Shvets, Samuel Jobol Brock II aka Samuel J. Brock II, Lyubov Igorevna Shvets-Brock aka Lyubov

I. Shvets-Brock, Florida Housing Finance Corporation, Unknown Party #1 N/K/A Lillian Comfort, are defendants, the Duval County Clerk of the Circuit Court will sell to the highest and best bidder for cash in/on Duval County’s Public Auction website: www.duval.realforeclose.com

Duval County, Florida at 11:00AM on the 26th day of September, 2023, the following described property as set forth in said Final Judgment of Foreclosure: LOT 2, EXCEPT THE WEST 25.0 FEET THEREOF, TOGETHER WITH THE WEST 36.0 FEET OF LOT 3, ALL IN BLOCK 129

ORANGE BLOSSOM PARK, A SUBDIVISION

SECOND INSERTION

Notice of Public Sale

Self-storage unit contents, containing household and other miscellaneous items unless otherwise specified, will be sold for cash by CubeSmart #5696 1796 Kernan Blvd South Jacksonville, FL 32246 to satisfy a lien on September 26,2023 at approximately 2:00 p.m. at the following site: www. storagetreasures.com

Tony Franklin Jr

Debbie DiGregorio

Richard G Brown jr John Sherman Tyler A Angle Kaitlin Kuykendall Latarsha Brown

Charles E McNinch Sep. 7/14 3 (23-05975D)

SECOND INSERTION

ONLINE PUBLIC AUCTION

The online bidding and auction for Morgran Mini Warehouses located at 6254 Powers Avenue, will be held at www. storagetreasures.com through Friday, September 22, 2023 at 5:00pm. Entire contents of the following units will be sold to satisfy a lien and other charges according to FL Statutes 83.806.

Personal Property/Household Items: Patterson #13, Jimenez #20, Shecut #526, Calado #822, Nelson #905, Levitt #932, Carswell #936, Castro #941, Garcia #1018, Blyth #1107, Terry #1212, Garcia #1228, Gibson #1260 Sep. 7/14 11 (23-06092D)

SECOND INSERTION

IN THE COUNTY COURT, FOURTH JUDICIAL CIRCUIT IN AND FOR DUVAL COUNTY, FLORIDA

CASE NO.: 16-2022-CC-002156

Division: CC-B

CHIMNEY LAKES OWNERS ASSOCIATION, INC., a Florida not-for-profit corporation, Plaintiff, v. MARK REDDINGTON, MARIA J. TAVAREZ, et al., Defendant.

NOTICE OF FORECLOSURE SALE

NOTICE IS HEREBY given pursuant to a Final Summary Judgment of Foreclosure dated and entered in Case No. 16-2022CC-002156, in the County Court in and for Duval County, Florida wherein CHIMNEY LAKES OWNERS ASSOCIATION, INC., is the Plaintiff and MARK REDDINGTON and MARIA J. TAVAREZ are the Defendants, I will sell to the highest bidder for cash online at: www.duval.realforeclose.com

at 11:00 A.M. on the 10th day of October, 2023, the following described property as set forth in said Final Judgment, to wit: Lot 34, Argyle Forest Chimney Lakes Unit Four, according to Plat thereof as recorded in Plat Book 41, Pages 47, 47A, 47B, 47C and 47D of the cur-

SECOND INSERTION IN THE CIRCUIT COURT, FOURTH JUDICIAL CIRCUIT, IN AND FOR DUVAL COUNTY, FLORIDA PROBATE DIVISION CASE NO.: 16-2023-CP-002300 DIVISION: PR-A IN RE: THE ESTATE OF: HANSELL THEODORE JEFFERS JR Deceased.

NOTICE TO CREDITORS

rent Public Records of Duval County, Florida. Parcel Identification Number: 016463-3070. Any person claiming an interest in the surplus from the sale, if any, other than the property owner as of the date of the lis pendens must file a claim before the clerk reports the surplus as unclaimed. Americans With Disabilities Act (ADA) Notice

In accordance with the Americans with Disabilities Act of 1990 (ADA), If you are a person with a disability who needs any accommodation in order to participate in this proceeding, you are entitled at no cost to you, to the provision of certain assistance. Please contact the ADA Coordinator at crtintrp@coj.net or (904) 2551695 at least 7 days before your scheduled court appearance, or immediately upon receiving this notification if the time before the scheduled appearance is less than 7 days; if you are hearing or voice impaired, call 711 Dated this 1st day of Septmeber, 2023.

JODY PHILLIPS

As Clerk of the Court

As Deputy Clerk (Court Seal) McCabe & Ronsman 110 Solana Road, Suite 102 Ponte Vedra Beach, Florida 32082 service@flcalegal.com

Sep. 7/14 7 (23-06040D)

SECOND INSERTION

IN THE CIRCUIT COURT FOR DUVAL COUNTY, FLORIDA PROBATE DIVISION File No. 16-2023-CP-002147 Division PR-B IN RE: ESTATE OF JERRY MELTON Deceased.

NOTICE TO CREDITORS

IN THE CIRCUIT COURT OF THE FOURTH JUDICIAL CIRCUIT IN AND FOR DUVAL COUNTY, FLORIDA

Case No.: 16-2022-CA-003850

Division: CV-C IN RE: FORFEITURE OF:

$4,021.00 (Four Thousand and Twenty-One Dollars) in U.S.

Currency and One (1) 2010

Nissan Armada

VIN: 5N1AA0NC0AN602868

Department of Highway Safety and Motor Vehicles, Plaintiff, vs. Urias Martinez-Martinez and Carlos Hernandez-Garcia, Defendants.

NOTICE OF ACTION

TO: Urias Martinez-Martinez

Last known Address:

3313 E Palm Lane, Phoenix, AZ 85008 Carlos Hernandez-Garcia

Last known Address: 3313 E Palm Lane, Phoenix, AZ 85008

YOU ARE HEREBY NOTIFIED that a forfeiture action has been filed against the above described currency by the Department of Highway Safety and Motor Vehicles. You are required to file an answer and any written defenses with the Clerk of the Court and to serve a copy of the answer and defenses on or before the 9th day of October, 2023, on Lindsay Michael, Assistant General Counsel, Department of Highway Safety and Motor Vehicles, 7322 Normandy Boulevard, Jacksonville, Florida 32205. Failure to file your answer and defenses will result in a default being entered against you.

WITNESSED by hand and the Seal of the Court on this 25th day of August, 2023.

JODY PHILLIPS

Clerk of Court

By: Clayton Smith

Deputy Clerk (Court Seal)

Aug. 31, Sep. 7/14/21 30 (23-05688D)

SECOND INSERTION

IN THE CIRCUIT COURT FOR DUVAL COUNTY, FLORIDA PROBATE DIVISION

File No. 16-2023-CP-002277

Division PR-B

IN RE: ESTATE OF GLYNDA ANN GROH a/k/a/ GLYNDA A. GROH, Deceased.

NOTICE TO CREDITORS

IN THE CIRCUIT COURT, FOURTH JUDICIAL CIRCUIT, IN AND FOR DUVAL COUNTY, FLORIDA CASE NO.: 16-2021-DR-002451-FM

DIVISION: FM-B

KLI’NYIAH GLINTON, Minor Child SCHUVONDA MASON, Petitioner, And, TAVEUNSHAE LIVINGSTON

Respondent/Mother, And Unknown Father NOTICE OF ACTION FOR PUBLICATION

TO: UNKNOWN FATHER OF KLI’NYIAH GLINTON YOU ARE NOTIFIED that an action for Temporary Relative Custody by Extended Family regarding KLI’NYIAH GLINTON has been filed. You are required to serve a copy of your written defenses, if any, to this action on Stephen Pitel, Esquire, of Jacksonville Area Legal Aid Inc., Petitioner’s attorney, whose address is 126 West Adam Street, Jacksonville, Florida 32202, within 30 days after the first publication of this notice, or before the 16th day of October, 2023, and file the original with the clerk of this court at Duval County Courthouse, 501 West Adams Street, Jacksonville, Florida 32202, either before service on Petitioner’s attorney or immediately thereafter; otherwise a default will be entered against you for the relief demanded in the petition.

DATED this Septemeber 1, 2023. Jody Phillips, CLERK OF THE CIRCUIT COURT By: Tammie Perkins-Watkins As Deputy Clerk (Court Seal) Sep. 7/14/21/28 7 (23-06051D)

SECOND INSERTION IN THE CIRCUIT COURT OF THE FOURTH JUDICIAL CIRCUIT IN AND FOR DUVAL COUNTY, FLORIDA CASE NO.: 16-2022-CA-001895

DIVISION: CV-C CAROL LOCKWOOD

Plaintiff(s), Vs. DANNY WORKMAN

ACCORDING TO THE PLAT THEREOF RECORDED IN PLAT BOOK 12, PAGES 3 THROUGH 8, INCLUSIVE OF THE PUBLIC RECORDS OF DUVAL COUNTY, FLORIDA. A/K/A 145 AVON ST BALDWIN FL 32234

Any person claiming an interest in the surplus from the sale, if any, other than the property owner as of the date of the Lis Pendens must file a claim before the Clerk reports the surplus as unclaimed. Americans With Disabilities Act (ADA) Notice

In accordance with the Americans with Disabilities Act of 1990 (ADA), If you are a person with a disability who needs any accommodation in order to participate in this proceeding, you are entitled at no cost to you, to the provision of certain assistance.

Please contact the ADA Coordinator at crtintrp@coj.net or (904) 2551695 at least 7 days before your scheduled court appearance, or immediately upon receiving this notification if the time before the scheduled appearance is less than 7 days; if you are hearing or voice impaired, call 711.

Dated in Duval County, Florida this 1st day of September, 2023.

JODY PHILLIPS Clerk of the Circuit Court Duval County, Florida

Brittany

Deputy Clerk (Court Seal) Albertelli Law Attorney for Plaintiff P.O. Box 23028 Tampa, FL 33623 (813) 221-4743 CT - 22-012873 Sep. 7/14 5 (23-06036D)

The administration of the estate of HANSELL THEODORE JEFFERS JR., deceased, whose date of death was July 11, 2023, is pending in the Circuit Court for Duval County, Florida, Probate Division, the address of which is 501 W. Adams Street, Jacksonville, FL 32202. The names and addresses of the personal representative and the personal representative’s attorney are set forth below. All creditors of the decedent and other persons having claims or demands against decedent’s estate on whom a copy of this notice is required to be served must file their claims with this court ON OR BEFORE THE LATER OF 3 MONTHS AFTER THE TIME OF THE FIRST PUBLICATION OF THIS NOTICE OR 30 DAYS AFTER THE DATE OF SERVICE OF A COPY OF THIS NOTICE ON THEM.

All other creditors of the decedent and the other persons having claims or demands against decedent’s estate must file their claims with this court WITHIN

3 MONTHS AFTER THE DATE OF THE FIRST PUBLICATION OF THIS NOTICE. ALL CLAIMS NOT FILED WITHIN THE TIME PERIODS SET FORTH IN FLORIDA STATUTES SECTION 733.702 WILL BE FOREVER BARRED. NOTWITHSTANDING THE TIME PERIODS SET FORTH ABOVE, ANY CLAIM FILED TWO (2) YEARS OR MORE AFTER THE DECEDENT’S DATE OF DEATH IS BARRED.

The date of first publication of this notice is September 7, 2023. Constance Jeffers Herbert, Personal Representative 420 Wild Oak Circle Longwood, Florida 32779

/s/ Jennifer Akin Jennifer Akin, Esq. Florida Bar No. 113117 6045 A1A S. St. Augustine, FL 32080 Phone: (904) 320-0011

jennifer@jakinlaw.com

Attorney for Petitioner Sep. 7/14 7 (23-06048D)

The administration of the estate of Jerry Melton, deceased, whose date of death was June 4, 2023, is pending in the Circuit Court for Duval County, Florida, Probate Division, the address of which is Probate Department, 501 W. Adams St., Jacksonville, FL 32202. The names and addresses of the personal representative and the personal representative’s attorney are set forth below.

All creditors of the decedent and other persons having claims or demands against decedent’s estate on whom a copy of this notice is required to be served must file their claims with this court ON OR BEFORE THE LATER OF 3 MONTHS AFTER THE TIME OF THE FIRST PUBLICATION OF THIS NOTICE OR 30 DAYS AFTER THE DATE OF SERVICE OF A COPY OF THIS NOTICE ON THEM.

All other creditors of the decedent and other persons having claims or demands against decedent’s estate must file their claims with this court WITHIN 3 MONTHS AFTER THE DATE OF THE FIRST PUBLICATION OF THIS NOTICE. ALL CLAIMS NOT FILED WITHIN THE TIME PERIODS SET FORTH IN FLORIDA STATUTES SECTION 733.702 WILL BE FOREVER BARRED. NOTWITHSTANDING THE TIME PERIODS SET FORTH ABOVE, ANY CLAIM FILED TWO (2) YEARS OR MORE AFTER THE DECEDENT’S DATE OF DEATH IS BARRED. The date of first publication of this notice is September 7, 2023.

Personal Representative: Catherine Alber Vales 12086 Yellow Bluff Road Jacksonville, FL 32226

Attorney for

Personal Representative: Katherine B. Schnauss Naugle

Attorney Florida Bar Number: 514381 810 Margaret Street JACKSONVILLE, FL 32204 Telephone: (904) 366-2703 Fax: (904) 353-9040 E-Mail: knaugle@jaxlawteam.com Secondary E-Mail: aforquer@jaxlawteam.com Sep. 7/14 7 (23-06063D)

The administration of the estate of Glynda Ann Groh, also known as Glynda A. Groh, deceased, whose date of death was June 26, 2023, is pending in the Circuit Court for Duval County, Florida, Probate Division, the address of which is 501 West Adams Street, Room 1173, Jacksonville, Florida 32202. The names and addresses of the Personal Representative and the Personal Representative’s attorneys are set forth below.

All creditors of the Decedent and other persons having claims or demands against Decedent’s estate on whom a copy of this notice is required to be served must file their claims with this court ON OR BEFORE THE LATER OF 3 MONTHS AFTER THE TIME OF THE FIRST PUBLICATION OF THIS NOTICE OR 30 DAYS AFTER THE DATE OF SERVICE OF A COPY OF THIS NOTICE ON THEM.

All other creditors of the Decedent and other persons having claims or demands against Decedent’s estate must file their claims with this court WITHIN 3 MONTHS AFTER THE DATE OF THE FIRST PUBLICATION OF THIS NOTICE.

ALL CLAIMS NOT FILED WITHIN THE TIME PERIODS SET FORTH IN FLORIDA STATUTES SECTION 733.702 WILL BE FOREVER BARRED.

NOTWITHSTANDING THE TIME PERIODS SET FORTH ABOVE, ANY CLAIM FILED TWO (2) YEARS OR MORE AFTER THE DECEDENT’S DATE OF DEATH IS BARRED.

The date of first publication of this notice is September 7, 2023. James S. Groh

1771 Maritime Oak Drive Atlantic Beach, FL 32233

Personal Representative HOLLAND & KNIGHT LLP

/s/ Peter T. Blumeyer

Jason E. Havens Florida Bar Number: 304440 jason.havens@hklaw.com

Peter T. Blumeyer Florida Bar No. 118099 peter.blumeyer@hklaw.com

50 N. Laura Street, Suite 3900 Jacksonville, FL 32202 Telephone: (904) 353-2000

Fax: (904) 358-1872

Secondary: pam.carr@hklaw.com

Attorneys for Personal Representative Sep. 7/14 7 (23-06053D)

Defendant(s), AMENDED NOTICE OF PUBLIC SALE NOTICE IS HEREBY GIVEN pursuant to an Order dated August 7, 2023, and entered in the above-captioned civil case. The clerk JODY PHILLIPS shall sell to the highest and best bidder for cash at Duval County’s Online Public Auction website: www.duval.realforeclose.com at 11:00 AM on October 24, 2023, the following described property: A PORTION OF BLOCK I, OF THE CURTISS-BRIGHT REPLAT OF BILTMORE #3 AND #4, AS SHOWN IN PLAT BOOK 15, PAGE 41. SAID PORTION IS THE SAME AND IDENTICAL LAND RECORDED AS LOTS 16, 17, 18, 19 AND 20, BLOCK 14, BILTMORE #4, AS RECORDED IN PLAT BOOK 12, PAGE 27, ALL OF AND IS AND AS SHOWN ON THE PUBLIC RECORDS OF DUVAL COUNTY, FLORIDA. PROPERTY ADDRESS: 5259 AMAZON AVENUE, JACKSONVILLE, FL 32254. Any person claiming an interest in the surplus from the sale, if any, other than the property owner as of the date of the Lis Pendens, must file a claim before the clerk reports the surplus as unclaimed. Americans With Disabilities Act (ADA) Notice

In accordance with the Americans with Disabilities Act of 1990 (ADA), If you are a person with a disability who needs any accommodation in order to participate in this proceeding, you are entitled at no cost to you, to the provision of certain assistance. Please contact the ADA Coordinator at crtintrp@coj.net or (904) 2551695 at least 7 days before your scheduled court appearance, or immediately upon receiving this notification if the time before the scheduled appearance is less than 7 days; if you are hearing or voice impaired, call 711

Dated this September 1, 2023.

JODY PHILLIPS

Clerk of the Circuit Court

By: Tonya Mooradian Deputy Clerk (Court Seal) James J. Claus Florida Bar #49847 4516 NW 37th Terrace Gainesville, FL 32605 Voice: (352) 575-8338 Fax: (888) 814-2221

Primary: james.claus@onebox.com

Secondary: northfloridalaw@gmail.com Sep. 7/14 7 (23-06046D)

THURSDAY, SEPTEMBER 14, 2023 5C JACKSONVILLE DAILY RECORD
1/2,
PUBLIC
DUVAL COUNTY • SUBSEQUENT
NOTICES
INSERTIONS

PUBLIC NOTICES

NOTICE OF APPLICATION FOR TAX DEED

NOTICE IS HEREBY GIVEN, that IZIA ROKOSZ the holder of the following certificate has filed said certificate for a tax deed to be issued thereon. The certificate number and year of issuance, the description of the property, and the names in which it was assessed are as follows:

Certificate No: 14182

Year of Issuance: 2016

Description of Property: 1-107 56-2S-26E .029 S/D LOT 4 BLK 11 WEST LEWISVILLE PT LOTS D,E,J,K RECD O/R 8357-1412

Name in which assessed: GEROGE K. BROWN

Said property being in the County of Duval, State of Florida. Unless such certificate shall be redeemed according to law the property described in such certificate shall be sold to the highest bidder at www.Duval. RealTaxDeed.com, on the 11th day of October, 2023. The auction for this date will begin at 8:00 am and continue until the entire auction calendar is exhausted.

Dated the 7th day of August, 2023 JODY PHILLIPS Clerk of Circuit Court of Duval County, Florida By: GK Griffin Deputy Clerk (Seal) Sep. 7/14/21/28 20 (23-05910D)

NOTICE OF APPLICATION FOR TAX DEED

NOTICE IS HEREBY GIVEN, that IZIA ROKOSZ the holder of the following certificate has filed said certificate for a tax deed to be issued thereon. The certificate number and year of issuance, the description of the property, and the names in which it was assessed are as follows:

Certificate No: 16462

Year of Issuance: 2016

Description of Property: 2-21 07-2S-27E .035 CAMPBELLS ADDN TO JAX E 25FT OF W 50FT LOT 1,E 25FT OF W 50FT OF S 11FT LOT 2 BLK 16

Name in which assessed: ROD JOHNSON

Said property being in the County of Duval, State of Florida. Unless such certificate shall be redeemed according to law the property described in such certificate shall be sold to the highest bidder at www.Duval. RealTaxDeed.com, on the 11th day of October, 2023.

The auction for this date will begin at 8:00 am and continue until the entire auction calendar is exhausted.

Dated the 7th day of August, 2023 JODY PHILLIPS

Clerk of Circuit Court of Duval County, Florida

By: GK Griffin

Deputy Clerk (Seal) Sep. 7/14/21/28 00 (23-05901D)

NOTICE OF APPLICATION FOR TAX DEED

NOTICE IS HEREBY GIVEN, that GSRAN-Z, LLC CHRISTIANA TRUST AS CUSTODIAN GSRAN-Z, LLC DEPOSIT

ACCOUNT the holder of the following certificate has filed said certificate for a tax deed to be issued thereon. The certificate number and year of issuance, the description of the property, and the names in which it was assessed are as follows:

Certificate No: 14965

Year of Issuance: 2021

Description of Property:

36-3S-27E VILLAS OF TIMBER-

LIN PARC PHASE 2 BLDG 9

UNIT 936 .23% INT COMMON

ELEMENTS O/R 11802-1649

Name in which assessed: DAIVD M TRAUX JR AS

TRUSTEE OF THE DAVID M TRUAX JR LIVING TRUST, DAVID M TRUAX JR LIVING TRUST, DAVID M TRUAX JR

Said property being in the County of Duval, State of Florida. Unless such certificate shall be redeemed according to law the property described in such certificate shall be sold to the highest bidder at www.Duval. RealTaxDeed.com, on the 11th day of October, 2023.

The auction for this date will begin at 8:00 am and continue until the entire auction calendar is exhausted.

2023

Dated the 7th day of August,

JODY PHILLIPS Clerk of Circuit Court of Duval County, Florida

By: GK Griffin Deputy Clerk (Seal) Sep. 7/14/21/28 20 (23-05834D)

NOTICE OF APPLICATION FOR TAX DEED

NOTICE IS HEREBY GIVEN, that IZIA ROKOSZ the holder of the following certificate has filed said certificate for a tax deed to be issued thereon. The certificate number and year of issuance, the description of the property, and the names in which it was assessed are as follows:

Certificate No: 12415

Year of Issuance: 2016

Description of Property: 10-2S-26E LINCOLNTON LOT 12(EX PT IN BARBERS S/D P BK 02-022) BLK U O/R BK 5806-1767

Name in which assessed: LENA M WALTERS

Said property being in the County of Duval, State of Florida. Unless such certificate shall be redeemed according to law the property described in such certificate shall be sold to the highest bidder at www.Duval. RealTaxDeed.com, on the 11th day of October, 2023. The auction for this date will begin at 8:00 am and continue until the entire auction calendar is exhausted.

Dated the 7th day of August,

2023 JODY PHILLIPS Clerk of Circuit Court of Duval County, Florida By: GK Griffin Deputy Clerk (Seal) Sep. 7/14/21/28 00 (23-05898D)

NOTICE OF APPLICATION FOR TAX DEED

NOTICE IS HEREBY GIVEN, that IZIA ROKOSZ the holder of the following certificate has filed said certificate for a tax deed to be issued thereon. The certificate number and year of issuance, the description of the property, and the names in which it was assessed are as follows:

Certificate No: 09521 Year of Issuance: 2016 Description of Property: 1-124 10-2S-26E NORTH LAVILLA LOT 23 BLK 5

NOVEM INVESTMENTS INC, NOVEM INVESTMENTS INC c/o EMILIO MONTILLA, REGISTERED AGENT

Said property being in the County of Duval, State of Florida. Unless such certificate shall be redeemed according to law the property described in such certificate shall be sold to the highest bidder at www.Duval. RealTaxDeed.com, on the 11th day of October, 2023. The auction for this date will begin at 8:00 am and continue until the entire auction calendar is exhausted.

Dated the 7th day of August, 2023

JODY PHILLIPS Clerk of Circuit Court of Duval County, Florida

By: GK Griffin Deputy Clerk (Seal) Sep. 7/14/21/28 00 (23-05892D)

NOTICE OF APPLICATION FOR TAX DEED NOTICE IS HEREBY GIVEN, that GSRAN-Z, LLC CHRISTIANA TRUST AS CUSTODIAN GSRAN-Z, LLC DEPOSIT ACCOUNT the holder of the following certificate has filed said certificate for a tax deed to be issued thereon. The certificate number and year of issuance, the description of the property, and the names in which it was assessed are as follows:

Certificate No: 03498 Year of Issuance: 2021

Description of Property: 32-1 39-1S-26E LAKE PARK ESTATES UNIT 4 LOT 10 BLK 3

Name in which assessed: 6376 PRYOR TRUST, NATHANIEL MCCLENDON AS TRUSTEE, 6376 PRYOR TRUST, NATHANIEL MCCLENDON, 6376 PRYOR TRUST, NATHANIEL MCCLENDON AS TRUSTEE

Said property being in the County of Duval, State of Florida. Unless such certificate shall be redeemed according to law the property described in such certificate shall be sold to the highest bidder at www.Duval. RealTaxDeed.com, on the 11th day of October, 2023. The auction for this date will begin at 8:00 am and continue until the entire auction calendar is exhausted. Dated the 7th day of August,

NOTICE OF APPLICATION FOR TAX DEED

NOTICE IS HEREBY GIVEN, that MIKALA KEO JORDAN the holder of the following certificate has filed said certificate for a tax deed to be issued thereon. The certificate number and year of issuance, the description of the property, and the names in which it was assessed are as follows:

Certificate No: 05514

Year of Issuance: 2021

Description of Property: 34-14 39-1S-26E WASHINGTON HEIGHTS ESTATES UNIT 2 TRACT B-B

Name in which assessed: JEROME SPATES , CHARLES F FLOWERS

Said property being in the County of Duval, State of Florida. Unless such certificate shall be redeemed according to law the property described in such certificate shall be sold to the highest bidder at www.Duval. RealTaxDeed.com, on the 11th day of October, 2023. The auction for this date will begin at 8:00 am and continue until the entire auction calendar is exhausted.

Dated the 7th day of August, 2023

JODY PHILLIPS Clerk of Circuit Court of Duval County, Florida

By: GK Griffin Deputy Clerk (Seal) Sep. 7/14/21/28 00 (23-05884D)

NOTICE OF APPLICATION FOR TAX DEED

NOTICE IS HEREBY GIVEN, that IZIA ROKOSZ the holder of the following certificate has filed said certificate for a tax deed to be issued thereon. The certificate number and year of issuance, the description of the property, and the names in which it was assessed are as follows:

Certificate No: 04602

Year of Issuance: 2016

Description of Property: 39-1S-26E SILVER TERRACE S/D LOTS 9,10 RUTLEDGES S/D LOT 20 PICKETTS S/D LOT 12(EX SE 30FT IN CO RD) O/R BK 3221-468 Name in which assessed: CLARENCE W BAKER

Said property being in the County of Duval, State of Florida. Unless such certificate shall be redeemed according to law the property described in such certificate shall be sold to the highest bidder at www.Duval. RealTaxDeed.com, on the 11th day of October, 2023. The auction for this date will begin at 8:00 am and continue until the entire auction calendar is exhausted.

Dated the 7th day of August, 2023

JODY PHILLIPS Clerk of Circuit Court of Duval County, Florida

By: GK Griffin Deputy Clerk (Seal) Sep. 7/14/21/28 00 (23-05888D)

NOTICE OF APPLICATION FOR TAX DEED NOTICE IS HEREBY GIVEN, that JPL INVESTMENTS CORP OCEAN BANKS AS CUST FOR JPL IN the holder of the following certificate has filed said certificate for a tax deed to be issued thereon. The certificate number and year of issuance, the description of the property, and the names in which it was assessed are as follows:

Certificate No: 05446

Year of Issuance: 2021

Description of Property: 31-93 43-1S-26E WASHINGTON HEIGHTS ESTATES LOT 7 BLK 19

Name in which assessed: STATUS REAL ESTATE INVESTMENTS LLC , STATUS REAL ESTATE INVESTMENTS LLC c/o LEROY FOSTER, REGISTERED AGENT , DIVERSE INVESTMENTS LLC , DIVERSE INVESTMENTS LLC

Said property being in the County of Duval, State of Florida. Unless such certificate shall be redeemed according to law the property described in such certificate shall be sold to the highest bidder at www.Duval. RealTaxDeed.com, on the 11th day of October, 2023. The auction for this date will begin at 8:00 am and continue until the entire auction calendar is exhausted.

Dated the 7th day of August, 2023 JODY PHILLIPS Clerk

DUVAL COUNTY • SUBSEQUENT INSERTIONS

NOTICE OF APPLICATION FOR TAX DEED

NOTICE IS HEREBY GIVEN, that THE CPR DOC LLC the holder of the following certificate has filed said certificate for a tax deed to be issued thereon. The certificate number and year of issuance, the description of the property, and the names in which it was assessed are as follows:

Certificate No: 07158

Year of Issuance: 2016

Description of Property: 31-93 43-1S-26E .47 WASHINGTON HEIGHTS ESTATES TRACT F (EX PT O/R 6162-443, 7799-2317)

Name in which assessed: AME CHURCH

Said property being in the County of Duval, State of Florida. Unless such certificate shall be redeemed according to law the property described in such certificate shall be sold to the highest bidder at www.Duval. RealTaxDeed.com, on the 11th day of October, 2023. The auction for this date will begin at 8:00 am and continue until the entire auction calendar is exhausted.

Dated the 7th day of August, 2023 JODY PHILLIPS Clerk of Circuit Court of Duval County, Florida

By: GK Griffin Deputy Clerk (Seal) Sep. 7/14/21/28 00 (23-05882D)

NOTICE OF APPLICATION FOR TAX DEED

NOTICE IS HEREBY GIVEN, that SAVVY FL LLC FIRST HORIZON COLLATERAL ASSIG the holder of the following certificate has filed said certificate for a tax deed to be issued thereon. The certificate number and year of issuance, the description of the property, and the names in which it was assessed are as follows:

Certificate No: 06858

Year of Issuance: 2021

Description of Property: 21-65 08-2S-26E ALLANDALE LOT 10 BLK 1 Name in which assessed: JEFFERY O. JOHNSON, JEFFERY O. JOHNSON

Said property being in the County of Duval, State of Florida. Unless such certificate shall be redeemed according to law the property described in such certificate shall be sold to the highest bidder at www.Duval. RealTaxDeed.com, on the 11th day of October, 2023. The auction for this date will begin at 8:00 am and continue until the entire auction calendar is exhausted.

Dated the 7th day of August, 2023 JODY PHILLIPS Clerk of Circuit Court of Duval County, Florida

By: GK Griffin Deputy Clerk (Seal) Sep. 7/14/21/28 00 (23-05854D)

NOTICE OF APPLICATION FOR TAX DEED NOTICE IS HEREBY GIVEN, that MIKON FINANICAL SERVICES INC A the holder of the following certificate has filed said certificate for a tax deed to be issued thereon. The certificate number and year of issuance, the description of the property, and the names in which it was assessed are as follows:

Certificate No: 04332

Year of Issuance: 2021

Description of Property: 2-53 39-1S-26E .283 KINGS S/D PT LOTS 25,26 RECD O/R 15627-2421

Name in which assessed: ESFUND HOLDINGS, INC.

AS SUCCESSOR TRUSTEE OF THE STERLING LAND TRUST AGREEMENT II, ESFUND HOLDINGS, INC. , ESFUND HOLDINGS, INC. c/o MILTON R HOWARD, REGISTERED AGENT Said property being in the County of Duval, State of Florida. Unless such certificate shall be redeemed according to law the property described in such certificate shall be sold to the highest bidder at www.Duval. RealTaxDeed.com, on the 11th day of October, 2023. The auction for this date will begin at 8:00 am and continue until the entire auction calendar is exhausted.

Dated the 7th day of August,

NOTICE OF APPLICATION FOR TAX DEED

NOTICE IS HEREBY GIVEN, that THE CPR DOC LLC the holder of the following certificate has filed said certificate for a tax deed to be issued thereon. The certificate number and year of issuance, the description of the property, and the names in which it was assessed are as follows:

Certificate No: 07163

Year of Issuance: 2016

Description of Property: 31-093 43-1S-26E WASHINGTON HEIGHTS ESTATES TRACT V O/R BK 5814350

Name in which assessed: WILLARD MCKINNIES

Said property being in the County of Duval, State of Florida. Unless such certificate shall be redeemed according to law the property described in such certificate shall be sold to the highest bidder at www.Duval. RealTaxDeed.com, on the 11th day of October, 2023. The auction for this date will begin at 8:00 am and continue until the entire auction calendar is exhausted.

Dated the 7th day of August, 2023 JODY PHILLIPS Clerk of Circuit Court of Duval County, Florida By: GK Griffin Deputy Clerk (Seal) Sep. 7/14/21/28 00 (23-05881D)

NOTICE OF APPLICATION FOR TAX DEED

NOTICE IS HEREBY GIVEN, that GSRAN-Z, LLC CHRISTIANA TRUST AS CUSTODIAN GSRAN-Z, LLC DEPOSIT ACCOUNT the holder of the following certificate has filed said certificate for a tax deed to be issued thereon. The certificate number and year of issuance, the description of the property, and the names in which it was assessed are as follows:

Certificate No: 01979

Year of Issuance: 2021

Description of Property:

32-64 14-3S-25E ENCHANTED PARK LOT 7 BLK 9

Name in which assessed:

MICHELE CAMILLONE

Said property being in the County of Duval, State of Florida. Unless such certificate shall be redeemed according to law the property described in such certificate shall be sold to the highest bidder at www.Duval. RealTaxDeed.com, on the 11th day of October, 2023. The auction for this date will begin at 8:00 am and continue until the entire auction calendar is exhausted.

Dated the 7th day of August, 2023 JODY PHILLIPS

Clerk of Circuit Court of Duval County, Florida

By: GK Griffin Deputy Clerk (Seal) Sep. 7/14/21/28 00 (23-05835D)

NOTICE OF APPLICATION FOR TAX DEED NOTICE IS HEREBY GIVEN, that JPL INVESTMENTS CORP OCEAN BANKS AS CUST FOR JPL IN the holder of the following certificate has filed said certificate for a tax deed to be issued thereon. The certificate number and year of issuance, the description of the property, and the names in which it was assessed are as follows:

Certificate No: 07863

Year of Issuance: 2021

Description of Property: 5-51 16-2S-26E EILENBERGS S/D LOTS 1,2

Name in which assessed: CHELSEA AND B RITTANY ENTERPRISES, LLC, CHELSEA AND BRITTANY ENTERPRISES, LLC c/o BEACHLIFELAW, LLC, REGISTERED AGENT , CHELSEA AND BRITTANY ENTERPRISES, LLC

Said property being in the County of Duval, State of Florida. Unless such certificate shall be redeemed according to law the property described in such certificate shall be sold to the highest bidder at www.Duval. RealTaxDeed.com, on the 11th day of October, 2023. The auction for this date will begin at 8:00 am and continue until the entire auction calendar is exhausted.

Dated the 7th day of August, 2023

NOTICE OF APPLICATION FOR TAX DEED

NOTICE IS HEREBY GIVEN, that PHYLLIS ROKOSZ the holder of the following certificate has filed said certificate for a tax deed to be issued thereon. The certificate number and year of issuance, the description of the property, and the names in which it was assessed are as follows:

Certificate No: 05345 Year of Issuance: 2021

Description of Property: 42-1S-26E .74 I CARTER DONATION PT RECD O/R 5748-1927(EX PT RECD O/R 15328-2120)

Name in which assessed: JOHN EGNER Said property being in the County of Duval, State of Florida. Unless such certificate shall be redeemed according to law the property described in such certificate shall be sold to the highest bidder at www.Duval. RealTaxDeed.com, on the 11th day of October, 2023. The auction for this date will begin at 8:00 am and continue until the entire auction calendar is exhausted.

Dated the 7th day of August, 2023 JODY PHILLIPS Clerk of Circuit Court of Duval County, Florida By: GK Griffin Deputy Clerk (Seal) Sep. 7/14/21/28 20 (23-05878D)

NOTICE OF APPLICATION FOR TAX DEED

NOTICE IS HEREBY GIVEN, that GSRAN-Z, LLC CHRISTIANA TRUST AS CUSTODIAN GSRAN-Z, LLC DEPOSIT ACCOUNT the holder of the following certificate has filed said certificate for a tax deed to be issued thereon. The certificate number and year of issuance, the description of the property, and the names in which it was assessed are as follows:

Certificate No: 17097

Year of Issuance: 2021

Description of Property: 8-30 21-2S-29E MERIMAR LOT 4 BLK 3

Name in which assessed: BARRY GRAHEK

Said property being in the County of Duval, State of Florida. Unless such certificate shall be redeemed according to law the property described in such certificate shall be sold to the highest bidder at www.Duval. RealTaxDeed.com, on the 11th day of October, 2023. The auction for this date will begin at 8:00 am and continue until the entire auction calendar is exhausted.

Dated the 7th day of August, 2023 JODY PHILLIPS Clerk of Circuit Court of Duval County, Florida

By: GK Griffin Deputy Clerk (Seal) Sep. 7/14/21/28 00 (23-05832D)

BANKS AS CUST FOR JPL IN the holder of the following certificate has filed said certificate for a tax deed to be issued thereon. The certificate number and year of issuance, the description of the property, and the names in which it was assessed are as follows:

LLC, REGIS-

CHELSEA AND

ENTERPRISES, LLC Said property being in the County of Duval, State of Florida. Unless such certificate shall be redeemed according to law the property described in such certificate shall be sold to the highest bidder at www.Duval. RealTaxDeed.com, on the 11th day of October, 2023. The auction for this date will begin at 8:00 am and continue until the entire auction calendar is exhausted.

Dated the 7th day of August, 2023 JODY PHILLIPS Clerk of Circuit Court of Duval County, Florida

6C THURSDAY, SEPTEMBER 14, 2023 JACKSONVILLE DAILY RECORD SECOND INSERTION SECOND INSERTION SECOND INSERTION SECOND INSERTION SECOND INSERTION SECOND INSERTION SECOND INSERTION SECOND INSERTION SECOND INSERTION SECOND INSERTION SECOND INSERTION SECOND INSERTION SECOND INSERTION SECOND INSERTION SECOND INSERTION SECOND INSERTION SECOND INSERTION SECOND INSERTION NOTICE
OCEAN
Certificate No: 06793 Year of Issuance: 2021 Description of Property: 12-9 08-2S-26E .144 BILTMORE E 25FT LOTS 11,12,W 35FT LOT 13 BLK 85 Name in which assessed: CHELSEA AND BRITTANY
, CHELSEA
ENTERPRISES,
BEACHLIFELAW,
OF APPLICATION FOR TAX DEED NOTICE IS HEREBY GIVEN, that JPL INVESTMENTS CORP
ENTERPRISES, LLC
AND BRITTANY
LLC c/o
TERED AGENT,
BRITTANY
By: GK Griffin Deputy Clerk (Seal) Sep. 7/14/21/28 20
(23-05796D)
2023 JODY PHILLIPS Clerk of Circuit Court of Duval County, Florida By: GK Griffin Deputy Clerk (Seal) Sep. 7/14/21/28 00 (23-05748D)
Clerk
Circuit Court of Duval County, Florida By: GK Griffin Deputy Clerk (Seal) Sep. 7/14/21/28 00 (23-05795D)
JODY PHILLIPS
of
Duval County,
By: GK Griffin Deputy Clerk (Seal) Sep. 7/14/21/28 00 (23-05801D)
of Circuit Court of
Florida
of
Court
Duval County,
By: GK Griffin Deputy Clerk (Seal) Sep. 7/14/21/28 00 (23-05833D)
2023 JODY PHILLIPS Clerk
Circuit
of
Florida
Name in which assessed:

PUBLIC NOTICES DUVAL COUNTY • SUBSEQUENT INSERTIONS

NOTICE OF APPLICATION FOR TAX DEED NOTICE IS HEREBY GIVEN, that JPL INVESTMENTS CORP OCEAN BANKS AS CUST FOR JPL IN the holder of the following certificate has filed said certificate for a tax deed to be issued thereon. The certificate number and year of issuance, the description of the property, and the names in which it was assessed are as follows:

Certificate No: 06760

Year of Issuance: 2021

Description of Property: 6-54 07-2S-26E .42 MAYS S/D

PT LOT 5 RECD O/R 16320-160

Name in which assessed: DARWIN MARTINEZ

Said property being in the County of Duval, State of Florida. Unless such certificate shall be redeemed according to law the property described in such certificate shall be sold to the highest bidder at www.Duval. RealTaxDeed.com, on the 11th day of October, 2023. The auction for this date will begin at 8:00 am and continue until the entire auction calendar is exhausted.

Dated the 7th day of August, 2023 JODY PHILLIPS

Clerk of Circuit Court of Duval County, Florida

By: GK Griffin

Deputy Clerk (Seal) Sep. 7/14/21/28 21 (23-05806D)

NOTICE OF APPLICATION FOR TAX DEED

NOTICE IS HEREBY GIVEN, that JPL INVESTMENTS CORP OCEAN BANKS AS CUST FOR JPL IN the holder of the following certificate has filed said certificate for a tax deed to be issued thereon. The certificate number and year of issuance, the description of the property, and the names in which it was assessed are as follows:

Certificate No: 07151

Year of Issuance: 2021

Description of Property:

11-50 10-2S-26E 0.07 LINCOLN PLACE LOT 27 BLK 6

Name in which assessed:

ROBERT LEONEL DELGADILLO, MARIA FERNANDA HERNANDEZ

Said property being in the County of Duval, State of Florida. Unless such certificate shall be redeemed according to law the property described in such certificate shall be sold to the highest bidder at www.Duval. RealTaxDeed.com, on the 11th day of October, 2023. The auction for this date will begin at 8:00 am and continue until the entire auction calendar is exhausted.

Dated the 7th day of August, 2023 JODY PHILLIPS Clerk of Circuit Court of Duval County, Florida

By: GK Griffin Deputy Clerk (Seal) Sep. 7/14/21/28 00 (23-05805D)

NOTICE OF APPLICATION FOR TAX DEED

NOTICE IS HEREBY GIVEN, that MIKON FINANICAL SERVICES INC A the holder of the following certificate has filed said certificate for a tax deed to be issued thereon. The certificate number and year of issuance, the description of the property, and the names in which it was assessed are as follows:

Certificate No: 02687

Year of Issuance: 2021

Description of Property: 05-81 04-1S-26E .287 GARDEN CITY LOTS 11 TO 15 BLK 16

Name in which assessed: C & C FLOWERS & LANDSCAPING, LLC, C&C

FLOWERS AND LANDSCAPING, LLC, C&C FLOWERS & LANDSCAPING, LLC c/o SAISI

ROBINSON, REGISTERED AGENT, C&C FLOWERS & LANDSCAPING, LLC

Said property being in the County of Duval, State of Florida. Unless such certificate shall be redeemed according to law the property described in such certificate shall be sold to the highest bidder at www.Duval. RealTaxDeed.com, on the 11th day of October, 2023.

The auction for this date will begin at 8:00 am and continue until the entire auction calendar is exhausted.

Dated the 7th day of August, 2023

JODY PHILLIPS Clerk of Circuit Court of Duval County, Florida

By: GK Griffin Deputy Clerk (Seal)

7/14/21/28 21 (23-05787D)

NOTICE OF APPLICATION FOR TAX DEED

NOTICE IS HEREBY GIVEN, that JPL INVESTMENTS CORP OCEAN BANKS AS CUST FOR JPL IN the holder of the following certificate has filed said certificate for a tax deed to be issued thereon. The certificate number and year of issuance, the description of the property, and the names in which it was assessed are as

NOTICE OF APPLICATION FOR TAX DEED NOTICE IS HEREBY GIVEN, that JPL INVESTMENTS CORP OCEAN BANKS AS CUST FOR JPL IN the holder of the following certificate has filed said certificate for a tax deed to be issued thereon. The certificate number and year of issuance, the description of the property, and the names in which it was assessed are as follows:

Certificate No: 05094

Year of Issuance: 2021

Description of Property: 25-6 41-1S-26E OSCEOLA FOREST UNIT 1 LOT 2 BLK 29

Name in which assessed: ARMALE DUBOSE

NOTICE OF APPLICATION FOR TAX DEED

NOTICE IS HEREBY GIVEN, that FLORIDA TAX LIEN LLC AND OCEAN BANK the holder of the following certificate has filed said certificate for a tax deed to be issued thereon. The certificate number and year of issuance, the description of the property, and the names in which it was assessed are as follows:

Certificate No: 08829

Year of Issuance: 2021

Description of Property: 22-43 31-2S-26E LAKE SHORE TERRACE UNIT NO 3 LOT 36 BLOCK 1

Name in which assessed: JOHN L DAVIS, JOHN L DAVIS

NOTICE OF APPLICATION

FOR TAX DEED

NOTICE IS HEREBY GIVEN, that FLORIDA TAX LIEN LLC AND OCEAN BANK the holder of the following certificate has filed said certificate for a tax deed to be issued thereon. The certificate number and year of issuance, the description of the property, and the names in which it was assessed are as follows:

Certificate No: 11439

Year of Issuance: 2021

Description of Property: 36-98 42-3S-26E ORTEGA SOUTH LOT 7 BLK 2 O/R BK 6624-546

Name in which assessed: JEANETTE M. WILLIAMS

NOTICE OF APPLICATION FOR TAX DEED

NOTICE IS HEREBY GIVEN, that IZIA ROKOSZ the holder of the following certificate has filed said certificate for a tax deed to be issued thereon. The certificate number and year of issuance, the description of the property, and the names in which it was assessed are as follows:

Certificate No: 12387

Year of Issuance: 2016

Description of Property: 10-2S-26E LINCOLNTON S1/2 LOT 16,LOT 17 BLK E

Name in which assessed: ABRAHAM TORRES (DECEASED), NATIVIDAD P TORRES

Said property being in the County of Duval, State of Florida. Unless such certificate shall be redeemed according to law the property described in such certificate shall be sold to the highest bidder at www.Duval. RealTaxDeed.com, on the 11th day of October, 2023. The auction for this date will begin at 8:00 am and continue until the entire auction calendar is exhausted.

Dated the 7th day of August, 2023 JODY PHILLIPS Clerk of Circuit Court of Duval County, Florida By: GK Griffin Deputy Clerk (Seal) Sep. 7/14/21/28 00 (23-05814D)

NOTICE OF APPLICATION FOR TAX DEED

NOTICE IS HEREBY GIVEN, that JPL INVESTMENTS CORP OCEAN BANKS AS CUST FOR JPL IN the holder of the following certificate has filed said certificate for a tax deed to be issued thereon. The certificate number and year of issuance, the description of the property, and the names in which it was assessed are as follows:

Certificate No: 02104

Year of Issuance: 2021

Description of Property: 5-93 21-3S-25E .24 JACKSONVILLE HEIGHTS PT TRACT 14 RECD O/R 19325-1686 BLK 4

Name in which assessed: ISMAEL PEREZ GUZMAN , ISMAEL PEREZ GUZMAN

Said property being in the County of Duval, State of Florida. Unless such certificate shall be redeemed according to law the property described in such certificate shall be sold to the highest bidder at www.Duval. RealTaxDeed.com, on the 11th day of October, 2023. The auction for this date will begin at 8:00 am and continue until the entire auction calendar is exhausted.

Dated the 7th day of August, 2023 JODY PHILLIPS Clerk of Circuit Court of Duval County, Florida

By: GK Griffin Deputy Clerk (Seal) Sep. 7/14/21/28 00 (23-05807D)

Said property being in the County of Duval, State of Florida. Unless such certificate shall be redeemed according to law the property described in such certificate shall be sold to the highest bidder at www.Duval. RealTaxDeed.com, on the 11th day of October, 2023. The auction for this date will begin at 8:00 am and continue until the entire auction calendar is exhausted.

Dated the 7th day of August, 2023 JODY PHILLIPS Clerk of Circuit Court of Duval County, Florida By: GK Griffin Deputy Clerk (Seal) Sep. 7/14/21/28 00 (23-05821D)

NOTICE OF APPLICATION FOR TAX DEED NOTICE IS HEREBY GIVEN, that JPL INVESTMENTS CORP OCEAN BANKS AS CUST FOR JPL IN the holder of the following certificate has filed said certificate for a tax deed to be issued thereon. The certificate number and year of issuance, the description of the property, and the names in which it was assessed are as follows:

Certificate No: 05562

Year of Issuance: 2021

Description of Property: 30-33 43-1S-26E LINCOLN ESTATES UNIT 2 LOT 11 BLK 1

Name in which assessed:

CHARLIE J STEVENSON , CARRIE BELL STEVENSON, CARRIE B STEVENSON ESTATE

Said property being in the County of Duval, State of Florida. Unless such certificate shall be redeemed according to law the property described in such certificate shall be sold to the highest bidder at www.Duval. RealTaxDeed.com, on the 11th day of October, 2023. The auction for this date will begin at 8:00 am and continue until the entire auction calendar is exhausted.

Dated the 7th day of August, 2023 JODY PHILLIPS Clerk of Circuit Court of Duval County, Florida

By: GK Griffin Deputy Clerk (Seal) Sep. 7/14/21/28 00 (23-05827D)

NOTICE OF APPLICATION FOR TAX DEED

NOTICE IS HEREBY GIVEN, that JPL INVESTMENTS CORP OCEAN BANKS AS CUST FOR JPL IN the holder of the following certificate has filed said certificate for a tax deed to be issued thereon. The certificate number and year of issuance, the description of the property, and the names in which it was assessed are as follows:

Certificate No: 04384

Year of Issuance: 2021

Description of Property:

5-19 39-1S-26E NORWOOD LOT 11 BLK 8

Name in which assessed:

WILLIAM EDWARD HENDERSON SR TRUSTEE, THE WILLIAM EDWARD SR TRUST , WILLIAM EDWARD HENDERSON SR TRUST c/o DONALD R HENDERSON, DONALD R HENDERSON

Said property being in the County of Duval, State of Florida. Unless such certificate shall be redeemed according to law the property described in such certificate shall be sold to the highest bidder at www.Duval. RealTaxDeed.com, on the 11th day of October, 2023. The auction for this date will begin at 8:00 am and continue until the entire auction calendar is exhausted.

Dated the 7th day of August, 2023 JODY PHILLIPS Clerk of Circuit Court of Duval County, Florida By: GK Griffin Deputy Clerk (Seal) Sep. 7/14/21/28 00 (23-05865D)

NOTICE OF APPLICATION FOR TAX DEED

NOTICE IS HEREBY GIVEN, that JPL INVESTMENTS CORP OCEAN BANKS AS CUST FOR JPL IN the holder of the following certificate has filed said certificate for a tax deed to be issued thereon. The certificate number and year of issuance, the description of the property, and the names in which it was assessed are as follows:

Certificate No: 03874

Year of Issuance: 2021

Description of Property: 27-010 39-1S-26E 44-1S-26E MAGNOLIA GARDENS UNIT NO 6 LOT 15 BLOCK

2 O/R BKS 4945-306, 6301-1310

Name in which assessed: RUTHA SMITH

Said property being in the County of Duval, State of Florida. Unless such certificate shall be redeemed according to law the property described in such certificate shall be sold to the highest bidder at www.Duval. RealTaxDeed.com, on the 11th day of October, 2023. The auction for this date will begin at 8:00 am and continue until the entire auction calendar is exhausted.

Dated the 7th day of August, 2023

JODY PHILLIPS Clerk of Circuit Court of Duval County, Florida

By: GK Griffin Deputy Clerk (Seal) Sep. 7/14/21/28 00 (23-05822D)

NOTICE OF APPLICATION FOR TAX DEED NOTICE IS HEREBY GIVEN, that JPL INVESTMENTS CORP OCEAN BANKS AS CUST FOR JPL IN the holder of the following certificate has filed said certificate for a tax deed to be issued thereon. The certificate number and year of issuance, the description of the property, and the names in which it was assessed are as follows:

Certificate No: 05484

Year of Issuance: 2021

Description of Property: 31-93 43-1S-26E WASHINGTON HEIGHTS ESTATES LOT 1 BLK 38

Name in which assessed: INVESTMENT BRANCH, LLC, INVESTMENT BRANCH, LLC

c/o KERSAUNDER HOLMES, REGISTERED AGENT, INVESTMENT BRANCH, LLC, INVESTMENT BRANCH LLC

Said property being in the County of Duval, State of Florida. Unless such certificate shall be redeemed according to law the property described in such certificate shall be sold to the highest bidder at www.Duval. RealTaxDeed.com, on the 11th day of October, 2023. The auction for this date will begin at 8:00 am and continue until the entire auction calendar is exhausted.

Dated the 7th day of August, 2023 JODY PHILLIPS

Clerk of Circuit Court of Duval County, Florida

By: GK Griffin Deputy Clerk (Seal) Sep. 7/14/21/28 00 (23-05867D)

NOTICE OF APPLICATION FOR TAX DEED

NOTICE IS HEREBY GIVEN, that SAVVY FL LLC FIRST HORIZON COLLATERAL ASSIG the holder of the following certificate has filed said certificate for a tax deed to be issued thereon. The certificate number and year of issuance, the description of the property, and the names in which it was assessed are as follows:

Certificate No: 06766

Year of Issuance: 2021

Description of Property: 08-2S-26E BILTMORE W 3.48FT LOT 6,LOT 7,E 20.65FT LOT 8 BLK 7 O/R BKS 1446-133, 5774-466

Name in which assessed: GLENNA M GHEE

Said property being in the County of Duval, State of Florida. Unless such certificate shall be redeemed according to law the property described in such certificate shall be sold to the highest bidder at www.Duval. RealTaxDeed.com, on the 11th day of October, 2023. The auction for this date will begin at 8:00 am and continue until the entire auction calendar is exhausted.

Dated the 7th day of August, 2023

JODY PHILLIPS Clerk of Circuit Court of Duval County, Florida

By: GK Griffin Deputy Clerk

(Seal) Sep. 7/14/21/28 00 (23-05841D)

NOTICE OF APPLICATION FOR TAX DEED

NOTICE IS HEREBY GIVEN, that JPL INVESTMENTS CORP OCEAN BANKS AS CUST FOR JPL IN the holder of the following certificate has filed said certificate for a tax deed to be issued thereon. The certificate number and year of issuance, the description of the property, and the names in which it was assessed are as follows:

Certificate No: 04330

Year of Issuance: 2021

Description of Property:

2-53 39-1S-26E .722 KINGS S/D PT LOTS 5,6 RECD O/R 19998-1987

Name in which assessed:

Said property being in the County of Duval, State of Florida. Unless such certificate shall be redeemed according to law the property described in such certificate shall be sold to the highest bidder at www.Duval. RealTaxDeed.com, on the 11th day of October, 2023. The auction for this date will begin at 8:00 am and continue until the entire auction calendar is exhausted.

Dated the 7th day of August, 2023 JODY PHILLIPS Clerk of Circuit Court of Duval County, Florida

By: GK Griffin Deputy Clerk (Seal) Sep. 7/14/21/28 21 (23-05885D)

NOTICE OF APPLICATION FOR TAX DEED

NOTICE IS HEREBY GIVEN, that SAVVY FL LLC FIRST HORIZON COLLATERAL ASSIG the holder of the following certificate has filed said certificate for a tax deed to be issued thereon. The certificate number and year of issuance, the description of the property, and the names in which it was assessed are as follows:

Certificate No: 10294

Year of Issuance: 2021

Description of Property:

3-4 55-2S-26E OWENS ADDN TO JAX W 22FT LOT 1,E 23FT LOT 6 BLK 5 O/R BK 6628-93 Name in which assessed: B.D.L.C. INVESTMENTS, LLC , B.D.L.C. INVESTMENTS, LLC

Said property being in the County of Duval, State of Florida. Unless such certificate shall be redeemed according to law the property described in such certificate shall be sold to the highest bidder at www.Duval. RealTaxDeed.com, on the 11th day of October, 2023. The auction for this date will begin at 8:00 am and continue until the entire auction calendar is exhausted.

Dated the 7th day of August, 2023

JODY PHILLIPS Clerk of Circuit Court of Duval County, Florida

By: GK Griffin Deputy Clerk (Seal) Sep. 7/14/21/28 00 (23-05852D)

NOTICE OF APPLICATION FOR TAX DEED

NOTICE IS HEREBY GIVEN, that JPL INVESTMENTS CORP OCEAN BANKS AS CUST FOR JPL IN the holder of the following certificate has filed said certificate for a tax deed to be issued thereon. The certificate number and year of issuance, the description of the property, and the names in which it was assessed are as follows:

Certificate No: 08563 Year of Issuance: 2021

Description of Property: 1-121 21-2S-26E GILLEN LOTS 14,15 BLK 1

ida. Unless such certificate shall be redeemed according to law the property described in such certificate shall be sold to the highest bidder at www.Duval. RealTaxDeed.com, on the 11th day of October, 2023. The auction for this date will begin at 8:00 am and continue until the entire auction calendar is exhausted.

Dated the 7th day of August,

Said property being in the County of Duval, State of Florida. Unless such certificate shall be redeemed according to law the property described in such certificate shall be sold to the highest bidder at www.Duval. RealTaxDeed.com, on the 11th day of October, 2023. The auction for this date will begin at 8:00 am and continue until the entire auction calendar is exhausted.

Dated the 7th day of August, 2023 JODY PHILLIPS Clerk of Circuit Court of Duval County, Florida By: GK Griffin Deputy Clerk (Seal) Sep. 7/14/21/28 00 (23-05793D)

Said property being in the County of Duval, State of Florida. Unless such certificate shall be redeemed according to law the property described in such certificate shall be sold to the highest bidder at www.Duval. RealTaxDeed.com, on the 11th day of October, 2023. The auction for this date will begin at 8:00 am and continue until the entire auction calendar is exhausted.

Dated

JHH INVESTMENT GROUP LLC, JHH INVESTMENT GROUP LLC, JHH INVESTMENT GROUP LLC c/o KERSAUNDER L HOLMES, REGISTERED AGENT Said property being in the County of Duval, State of Florida. Unless such certificate shall be redeemed according to law the property described in such certificate shall be sold to the highest bidder at www.Duval. RealTaxDeed.com, on the 11th day of October, 2023. The auction for this date will begin at 8:00 am and continue until the entire auction calendar is exhausted.

Dated the 7th day of August,

2023 JODY PHILLIPS Clerk of Circuit Court of Duval County, Florida

Name in which assessed: WALLER SABBATH SHALOM TRUST #2929, TIM JOHNSON AS TRUSTEE ONLY, MICHAEL SHILLINGFORD, WALLER SABBATH SHALOM TRUST #2929, TIM JOHNSON AS TRUSTEE ONLY Said property being in the County of Duval, State of Florida. Unless such certificate shall be redeemed according to law the property described in such certificate shall be sold to the highest bidder at www.Duval. RealTaxDeed.com, on the 11th day of October, 2023. The auction for this date will begin at 8:00 am and continue until the entire auction calendar is exhausted.

Dated the 7th day of August, 2023

THURSDAY, SEPTEMBER 14, 2023 7C JACKSONVILLE DAILY RECORD SECOND INSERTION SECOND INSERTION SECOND INSERTION SECOND INSERTION SECOND INSERTION SECOND INSERTION SECOND INSERTION SECOND INSERTION SECOND INSERTION SECOND INSERTION SECOND INSERTION SECOND INSERTION SECOND INSERTION SECOND INSERTION SECOND INSERTION SECOND INSERTION SECOND INSERTION SECOND INSERTION NOTICE OF APPLICATION FOR TAX DEED NOTICE IS HEREBY GIVEN, that MIKON FINANICAL SERVICES INC A the holder of the following certificate has filed said certificate for a tax deed to be issued thereon. The certificate number and year of issuance, the description of the property, and the names in which it was assessed are as follows: Certificate No: 13567 Year of Issuance: 2021 Description of Property: 45-2S-27E .604 SPRATTS S/D PT LOTS 2,3 BLK 7, PT BLK 7 EAST JAX Q-664, PT BLK 16 OAKLAND Q-443 RECD O/R 14998-1036 BEING PARCELS A & B Name in which assessed: LML PROPERTY INC c/o MARIA PIDAL, REGISTERED AGENT , LML PROPERTY INC OF JACKSONVILLE, FL Said property being in the County of Duval, State of Flor
By: GK Griffin Deputy Clerk (Seal) Sep.
2023 JODY PHILLIPS Clerk of Circuit Court of Duval County, Florida
7/14/21/28 00 (23-05753D)
Sep.
the
of
2023 JODY PHILLIPS Clerk of Circuit Court of Duval County, Florida By: GK Griffin Deputy Clerk (Seal) Sep. 7/14/21/28 00 (23-05802D)
7th day
August,
By: GK Griffin Deputy Clerk (Seal) Sep. 7/14/21/28 00 (23-05816D)
follows: Certificate No: 06360 Year of Issuance: 2021 Description of Property: 3-89 03-2S-26E GRAND BLVD LOT 19 BLK 65 Name in which assessed: VICTORIA MCGHEE
Court
County,
By: GK Griffin Deputy Clerk (Seal) Sep. 7/14/21/28 21 (23-05820D)
JODY PHILLIPS Clerk of Circuit
of Duval
Florida

PUBLIC NOTICES

NOTICE OF APPLICATION FOR TAX DEED

NOTICE IS HEREBY GIVEN, that IZIA ROKOSZ the holder of the following certificate has filed said certificate for a tax deed to be issued thereon. The certificate number and year of issuance, the description of the property, and the names in which it was assessed are as follows:

Certificate No: 07981

Year of Issuance: 2016

Description of Property:

01-2S-26E NEW SPRINGFIELD

E 35FT LOT 12 BLK 18 O/R BK 4788-173

Name in which assessed:

HELEN V HALL

Said property being in the County of Duval, State of Florida. Unless such certificate shall be redeemed according to law the property described in such certificate shall be sold to the highest bidder at www.Duval. RealTaxDeed.com, on the 11th day of October, 2023. The auction for this date will begin at 8:00 am and continue until the entire auction calendar is exhausted.

Dated the 7th day of August, 2023

JODY PHILLIPS Clerk of Circuit Court of Duval County, Florida

By: GK Griffin Deputy Clerk (Seal) Sep. 7/14/21/28 22 (23-05887D)

NOTICE OF APPLICATION FOR TAX DEED

NOTICE IS HEREBY GIVEN, that JPL INVESTMENTS CORP OCEAN BANKS AS CUST FOR JPL IN the holder of the following certificate has filed said certificate for a tax deed to be issued thereon. The certificate number and year of issuance, the description of the property, and the names in which it was assessed are as follows:

Certificate No: 05513

Year of Issuance: 2021

Description of Property: 34-8 43-1S-26E WASHINGTON HEIGHTS ESTATES R/P LOT 8

Name in which assessed:

AGEJA CORBETT, AGEJA CORBETT

Said property being in the County of Duval, State of Florida. Unless such certificate shall be redeemed according to law the property described in such certificate shall be sold to the highest bidder at www.Duval. RealTaxDeed.com, on the 11th day of October, 2023. The auction for this date will begin at 8:00 am and continue until the entire auction calendar is exhausted.

Dated the 7th day of August, 2023 JODY PHILLIPS Clerk of Circuit Court of Duval County, Florida

By: GK Griffin Deputy Clerk (Seal) Sep. 7/14/21/28 00 (23-05830D)

NOTICE OF APPLICATION FOR TAX DEED

NOTICE IS HEREBY GIVEN, that SAVVY FL LLC FIRST HORIZON COLLATERAL ASSIG the holder of the following certificate has filed said certificate for a tax deed to be issued thereon. The certificate number and year of issuance, the description of the property, and the names in which it was assessed are as follows:

Certificate No: 01478

Year of Issuance: 2021

Description of Property: 4-66 25-2S-25E LACKAWANNA PT LOT 7 RECD D BK 707-22 BLK F

Name in which assessed:

HENRY STEVE JOYNER , CLIFFORD A JOYNER , CHRISTOPHER JOYNER, SR., RANDOLPH JOYNER, CARSON E. JOYNER, FREDDY WEATHERFORD, DEBBIE BURROUGHS, DALE BIZZELL, WANDA GIDDENS , HENRY STEVE JOYNER

Said property being in the County of Duval, State of Florida. Unless such certificate shall be redeemed according to law the property described in such certificate shall be sold to the highest bidder at www.Duval. RealTaxDeed.com, on the 11th day of October, 2023. The auction for this date will begin at 8:00 am and continue until the entire auction calendar is exhausted.

Dated the 7th day of August, 2023

JODY PHILLIPS Clerk of Circuit Court of Duval County, Florida

NOTICE OF APPLICATION FOR TAX DEED

NOTICE IS HEREBY GIVEN, that IZIA ROKOSZ the holder of the following certificate has filed said certificate for a tax deed to be issued thereon. The certificate number and year of issuance, the description of the property, and the names in which it was assessed are as follows:

Certificate No: 08963

Year of Issuance: 2019

Said property being in the County of Duval, State of Florida. Unless such certificate shall be redeemed according to law the property described in such certificate shall be sold to the highest bidder at www.Duval. RealTaxDeed.com, on the 11th day of October, 2023. The auction for this date will begin at 8:00 am and continue until the entire auction calendar is exhausted.

Dated the 7th day of August, 2023

JODY PHILLIPS Clerk of Circuit Court of Duval County, Florida

By: GK Griffin Deputy Clerk (Seal) Sep. 7/14/21/28 00 (23-05872D)

NOTICE OF APPLICATION FOR TAX DEED

NOTICE IS HEREBY GIVEN, that MUNICIPAL POINT CAPITAL LP the holder of the following certificate has filed said certificate for a tax deed to be issued thereon. The certificate number and year of issuance, the description of the property, and the names in which it was assessed are as follows:

Certificate No: 04486

Year of Issuance: 2021

Description of Property: 6-28 39-1S-26E N BROOKSIDE LOTS 13,14 BLK 19

Name in which assessed:

OSCAR L JOYNER, LIZZIE K JOYNER, LIZZIE K JOYNER ESTATE

Said property being in the County of Duval, State of Florida. Unless such certificate shall be redeemed according to law the property described in such certificate shall be sold to the highest bidder at www.Duval. RealTaxDeed.com, on the 11th day of October, 2023. The auction for this date will begin at 8:00 am and continue until the entire auction calendar is exhausted.

Dated the 7th day of August, 2023 JODY PHILLIPS Clerk of Circuit Court of Duval County, Florida

By: GK Griffin Deputy Clerk (Seal) Sep. 7/14/21/28 00 (23-05837D)

NOTICE OF APPLICATION FOR TAX DEED

NOTICE IS HEREBY GIVEN, that JPL INVESTMENTS CORP OCEAN BANKS AS CUST FOR JPL IN the holder of the following certificate has filed said certificate for a tax deed to be issued thereon. The certificate number and year of issuance, the description of the property, and the names in which it was assessed are as follows:

Certificate No: 02210

Year of Issuance: 2021

Description of Property: 5-93 26-3S-25E 2.17 JACKSONVILLE HEIGHTS NE1/4 OF NW1/4 LYING N OF DRAINAGE DITCH RECD O/R 384-481 (EX O/RS 3320-909, 5897-139,62822358,6479-562,6816-157, 6856-2212,6951-0210,82781437,12655-1384, 131852456,13724-2093)

Name in which assessed: ALBERT STRATTON c/o THOMAS H STRATTON

Said property being in the County of Duval, State of Florida. Unless such certificate shall be redeemed according to law the property described in such certificate shall be sold to the highest bidder at www.Duval. RealTaxDeed.com, on the 11th day of October, 2023. The auction for this date will begin at 8:00 am and continue until the entire auction calendar is exhausted.

Dated the 7th day of August,

NOTICE OF APPLICATION FOR TAX DEED NOTICE IS HEREBY GIVEN, that FLORIDA TAX LIEN LLC AND OCEAN BANK the holder of the following certificate has filed said certificate for a tax deed to be issued thereon. The certificate number and year of issuance, the description of the property, and the names in which it was assessed are as follows:

Certificate No: 11847

Year of Issuance: 2021

Description of Property: 11-49 37-1N-27E OCEANWAY LOT 22 BLK 9

Name in which assessed: JUDITH J LECLERC

Said property being in the County of Duval, State of Florida. Unless such certificate shall be redeemed according to law the property described in such certificate shall be sold to the highest bidder at www.Duval. RealTaxDeed.com, on the 11th day of October, 2023. The auction for this date will begin at 8:00 am and continue until the entire auction calendar is exhausted.

Dated the 7th day of August, 2023

JODY PHILLIPS Clerk of Circuit Court of Duval County, Florida By: GK Griffin Deputy Clerk (Seal) Sep. 7/14/21/28 00 (23-05861D)

NOTICE OF APPLICATION FOR TAX DEED

NOTICE IS HEREBY GIVEN, that JPL INVESTMENTS CORP OCEAN BANKS AS CUST FOR JPL IN the holder of the following certificate has filed said certificate for a tax deed to be issued thereon. The certificate number and year of issuance, the description of the property, and the names in which it was assessed are as follows:

Certificate No: 02871

Year of Issuance: 2021

Description of Property: 19-1S-26E LINCOLN VILLAS

LOT 2(EX S 56.668FT),LOT 3 BLK 2 O/R BK 5582-2365

Name in which assessed:

ARMALE DUBOSE

Said property being in the County of Duval, State of Florida. Unless such certificate shall be redeemed according to law the property described in such certificate shall be sold to the highest bidder at www.Duval. RealTaxDeed.com, on the 11th day of October, 2023.

The auction for this date will begin at 8:00 am and continue until the entire auction calendar is exhausted.

Dated the 7th day of August, 2023

JODY PHILLIPS Clerk of Circuit Court of Duval County, Florida

By: GK Griffin Deputy Clerk (Seal) Sep. 7/14/21/28 00 (23-05818D)

NOTICE OF APPLICATION FOR TAX DEED NOTICE IS HEREBY GIVEN, that MIKON FINANICAL SERVICES INC A the holder of the following certificate has filed said certificate for a tax deed to be issued thereon. The certificate number and year of issuance, the description of the property, and the names in which it was assessed are as follows:

Certificate No: 09798

Year of Issuance: 2021

Description of Property:

15-41 53-2S-26E .34 CURTISS-BRIGHT R/P BILTMORE NO 3 & 4 PT BLK F RECD O/R

12682-30 BEING PAR A,B (AKA

12-27 BILTMORE UNIT 4 LOTS

9,10,29-32 BLK 7)

Name in which assessed: S AND J INVESTMENTS LLC c/o TIMOTHY V JOHNSON, GENERAL PARTNER 50%, S AND J INVESTMENTS LLC c/o MICHAEL SHILLINGFORD, GENERAL PARTNER 50% Said property being in the County of Duval, State of Florida. Unless such certificate shall be redeemed according to law the property described in such certificate shall be sold to the highest bidder at www.Duval. RealTaxDeed.com, on the 11th day of October, 2023. The auction for this date will begin at 8:00 am and continue until the entire auction calendar is exhausted.

2023

Dated the 7th day of August,

JODY PHILLIPS Clerk of Circuit Court of Duval County, Florida

DUVAL COUNTY • SUBSEQUENT INSERTIONS

NOTICE OF APPLICATION FOR TAX DEED

NOTICE IS HEREBY GIVEN, that MIKON FINANICAL SERVICES INC A the holder of the following certificate has filed said certificate for a tax deed to be issued thereon. The certificate number and year of issuance, the description of the property, and the names in which it was assessed are as follows:

Certificate No: 00593 Year of Issuance: 2021

Description of Property: 532-336 40-1S-25E BARNEY GARDENS S/D LOT 7 BLK 1 Name in which assessed: CHRIS BOOKHARDT Said property being in the County of Duval, State of Florida. Unless such certificate shall be redeemed according to law the property described in such certificate shall be sold to the highest bidder at www.Duval. RealTaxDeed.com, on the 11th day of October, 2023. The auction for this date will begin at 8:00 am and continue until the entire auction calendar is exhausted.

Dated the 7th day of August, 2023

JODY PHILLIPS Clerk of Circuit Court of Duval County, Florida

By: GK Griffin Deputy Clerk (Seal) Sep. 7/14/21/28 00 (23-05785D)

NOTICE OF APPLICATION FOR TAX DEED

NOTICE IS HEREBY GIVEN, that JPL INVESTMENTS CORP OCEAN BANKS AS CUST FOR JPL IN the holder of the following certificate has filed said certificate for a tax deed to be issued thereon. The certificate number and year of issuance, the description of the property, and the names in which it was assessed are as follows:

Certificate No: 05435

Year of Issuance: 2021

Description of Property: 31-93 43-1S-26E WASHINGTON HEIGHTS ESTATES LOT 4 BLK 15

Name in which assessed: VALDES AUGUSTE

Said property being in the County of Duval, State of Florida. Unless such certificate shall be redeemed according to law the property described in such certificate shall be sold to the highest bidder at www.Duval. RealTaxDeed.com, on the 11th day of October, 2023. The auction for this date will begin at 8:00 am and continue until the entire auction calendar is exhausted.

Dated the 7th day of August, 2023 JODY PHILLIPS Clerk of Circuit Court of Duval County, Florida

By: GK Griffin Deputy Clerk (Seal) Sep. 7/14/21/28 00 (23-05815D)

NOTICE OF APPLICATION FOR TAX DEED

NOTICE IS HEREBY GIVEN, that MIKON FINANICAL SERVICES INC A the holder of the following certificate has filed said certificate for a tax deed to be issued thereon. The certificate number and year of issuance, the description of the property, and the names in which it was assessed are as follows:

Certificate No: 04613

Year of Issuance: 2021

Description of Property: 16-64 50-1S-27E MILLERS BUFFALO GARDENS 2ND ADDN

R/P LOT 4 BLK 2

Name in which assessed:

HORIZON TRUST COMPANY

CUSTODIAN FBO: DOUGLAS CARLSON TRADITIONAL IRA

, DOUGLAS CARLSON IRA

HORIZON TRUST COMPANY , HORIZON TRUST COMPANY

CUSTODIAN FBO: DOUGLAS CARLSON TRADITIONAL IRA

Said property being in the County of Duval, State of Florida. Unless such certificate shall be redeemed according to law the property described in such certificate shall be sold to the highest bidder at www.Duval. RealTaxDeed.com, on the 11th day of October, 2023. The auction for this date will begin at 8:00 am and continue until the entire auction calendar is exhausted.

Dated the 7th day of August, 2023

JODY PHILLIPS Clerk of Circuit Court of Duval County, Florida

NOTICE OF APPLICATION FOR TAX DEED

NOTICE IS HEREBY GIVEN, that MIKON FINANICAL SERVICES INC A the holder of the following certificate has filed said certificate for a tax deed to be issued thereon. The certificate number and year of issuance, the description of the property, and the names in which it was assessed are as follows:

Certificate No: 11729

Year of Issuance: 2021

Description of Property: 55-77 37-1N-27E .20 NORTH

CREEK UNIT 2 LOT 96

Name in which assessed:

RICHARD GRANT

Said property being in the County of Duval, State of Florida. Unless such certificate shall be redeemed according to law the property described in such certificate shall be sold to the highest bidder at www.Duval. RealTaxDeed.com, on the 11th day of October, 2023. The auction for this date will begin at 8:00 am and continue until the entire auction calendar is exhausted.

Dated the 7th day of August, 2023 JODY PHILLIPS Clerk of Circuit Court of Duval County, Florida

By: GK Griffin Deputy Clerk (Seal) Sep. 7/14/21/28 00 (23-05780D)

NOTICE OF APPLICATION FOR TAX DEED

NOTICE IS HEREBY GIVEN, that JPL INVESTMENTS CORP OCEAN BANKS AS CUST FOR JPL IN the holder of the following certificate has filed said certificate for a tax deed to be issued thereon. The certificate number and year of issuance, the description of the property, and the names in which it was assessed are as follows:

Certificate No: 04049

Year of Issuance: 2021

Description of Property: 9-17 39-1S-26E RIVERHILLS PARK LOTS 47 TO 49 BLK 7

Name in which assessed: JOHN HENRY , BRENDA LEE DORSETT

Said property being in the County of Duval, State of Florida. Unless such certificate shall be redeemed according to law the property described in such certificate shall be sold to the highest bidder at www.Duval. RealTaxDeed.com, on the 11th day of October, 2023. The auction for this date will begin at 8:00 am and continue until the entire auction calendar is exhausted.

Dated the 7th day of August,

2023 JODY PHILLIPS Clerk of Circuit Court of Duval County, Florida

By: GK Griffin Deputy Clerk (Seal) Sep. 7/14/21/28 00 (23-05810D)

NOTICE OF APPLICATION FOR TAX DEED

NOTICE IS HEREBY GIVEN, that MIKON FINANICAL SERVICES INC A the holder of the following certificate has filed said certificate for a tax deed to be issued thereon. The certificate number and year of issuance, the description of the property, and the names in which it was assessed are as follows:

Certificate No: 13858

Year of Issuance: 2021

Description of Property:

AH-526 55-2S-26E .10 LONG BRANCH PT LOT 6 RECD O/R 17952-983 BEING

PARCEL 17 BLK J Name in which assessed: MULLIS INVESTING, LLC, MULLIS INVESTING, LLC, MULLIS INVESTING, LLC, MULLIS INVESTING, LLC c/o MELVYLYN PIERCE, REGISTERED AGENT, MULLIS INVESTING, LLC, MULLIS INVESTING, LLC

Said property being in the County of Duval, State of Florida. Unless such certificate shall be redeemed according to law the property described in such certificate shall be sold to the highest bidder at www.Duval. RealTaxDeed.com, on the 11th day of October, 2023. The auction for this date will begin at 8:00 am and continue until the entire auction calendar is exhausted.

NOTICE OF APPLICATION FOR TAX DEED

NOTICE IS HEREBY GIVEN, that MIKON FINANICAL SERVICES INC A the holder of the following certificate has filed said certificate for a tax deed to be issued thereon. The certificate number and year

RealTaxDeed.com, on the 11th day of October, 2023. The auction for this date will begin at 8:00 am and continue until the entire auction calendar is exhausted.

Dated the 7th day of August, 2023 JODY PHILLIPS Clerk of Circuit Court of Duval County, Florida

NOTICE OF APPLICATION FOR TAX DEED NOTICE IS HEREBY GIVEN, that JPL INVESTMENTS CORP OCEAN BANKS AS CUST FOR JPL IN the holder of the following certificate has filed said certificate for a tax deed to be issued thereon. The certificate number and year of issuance, the description of the property, and the names in which it was assessed are as follows:

08022

Certificate No:

Year of Issuance: 2021

Description of Property: 20-78 16-2S-26E BEAVERBROOK S/D LOT 3 ADAMS ESTATE LOT 23

Name in which assessed: NICHOLAS SIEMER Said property being in the County of Duval, State of Florida. Unless such certificate shall be redeemed according to law the property described in such certificate shall be sold to the highest bidder at www.Duval. RealTaxDeed.com, on the 11th day of October, 2023. The auction for this date will begin at 8:00 am and continue until the entire auction calendar is exhausted.

Dated the 7th day of August, 2023 JODY PHILLIPS Clerk of Circuit Court of Duval County, Florida

By: GK Griffin Deputy Clerk (Seal) Sep. 7/14/21/28 00 (23-05804D)

NOTICE OF APPLICATION FOR TAX DEED

NOTICE IS HEREBY GIVEN, that MIKON FINANICAL SERVICES INC A the holder of the following certificate has filed said certificate for a tax deed to be issued thereon. The certificate number and year of issuance, the description of the property, and the names in which it was assessed are as follows:

Certificate No: 05510

Year of Issuance: 2021

Description of Property: 31-93 43-1S-26E WASHINGTON HEIGHTS ESTATES LOT 2 BLK 46

Name in which assessed: JHH INVESTMENT GROUP LLC , JHH INVESTMENT GROUP LLC, JHH INVESTMENT GROUP LLC, JHH INVESTMENT GROUP LLC, JHH INVESTMENT GROUP LLC c/o KERSAUNDER L HOLMES, REGISTERED AGENT Said property being in the County of Duval, State of Florida. Unless such certificate shall be redeemed according to law the property described in such certificate shall be sold to the highest bidder at www.Duval. RealTaxDeed.com, on the 11th day of October, 2023. The auction for this date will begin at 8:00 am and continue until the entire auction calendar is exhausted.

Clerk (Seal)

7/14/21/28 22 (23-05857D)

By: GK Griffin Deputy Clerk (Seal) Sep. 7/14/21/28 00 (23-05788D)

Dated the 7th day of August, 2023 JODY PHILLIPS Clerk of Circuit Court of Duval County, Florida By: GK Griffin Deputy Clerk

Dated the 7th day of August, 2023 JODY PHILLIPS Clerk of Circuit Court of Duval County, Florida By: GK Griffin Deputy Clerk (Seal) Sep. 7/14/21/28 22 (23-05771D)

8C THURSDAY, SEPTEMBER 14, 2023 JACKSONVILLE DAILY RECORD
(Seal) Sep.
SECOND INSERTION SECOND INSERTION SECOND INSERTION SECOND INSERTION SECOND INSERTION SECOND
SECOND INSERTION SECOND INSERTION SECOND INSERTION SECOND INSERTION SECOND INSERTION SECOND INSERTION SECOND INSERTION SECOND INSERTION SECOND INSERTION SECOND INSERTION SECOND INSERTION SECOND INSERTION
7/14/21/28 00 (23-05769D)
INSERTION
assessed are as follows: Certificate No: 03401 Year of Issuance: 2021 Description of Property: 24-13 39-1S-26E LAKE FOREST HILLS UNIT 3 LOT 4 BLK 6 Name in which assessed: KENYA MCCLOUD Said property being in the County of Duval, State of Florida. Unless such certificate shall be redeemed according to
the property
in
certificate shall be sold to the highest bidder at www.Duval.
of issuance, the description of the property, and the names in which it was
law
described
such
By: GK Griffin Deputy Clerk (Seal) Sep. 7/14/21/28 22 (23-05775D)
Sep. 7/14/21/28
By: GK Griffin Deputy Clerk (Seal)
00 (23-05789D)
Deputy Clerk (Seal) Sep.
00
2023 JODY PHILLIPS Clerk of Circuit Court of Duval County, Florida By: GK Griffin
7/14/21/28
(23-05829D)
Sep.
Description of Property: 10-2S-26E GRIFFINS S/D OF LOT 7 PT LOT 2 RECD O/R 762-458 Name in which assessed: ROSA GRIFFEN

PUBLIC NOTICES

NOTICE OF APPLICATION FOR TAX DEED

NOTICE IS HEREBY GIVEN, that IOKEPA BARCO the holder of the following certificate has filed said certificate for a tax deed to be issued thereon. The certificate number and year of issuance, the description of the property, and the names in which it was assessed are as follows:

Certificate No: 16170

Year of Issuance: 2017

Description of Property:

Q-443 13-2S-26E OAKLAND

E1/4 LOT 32 BLK 4

Name in which assessed:

MAURICE BOYKINS

Said property being in the County of Duval, State of Florida. Unless such certificate shall be redeemed according to law the property described in such certificate shall be sold to the highest bidder at www.Duval. RealTaxDeed.com, on the 11th day of October, 2023.

The auction for this date will begin at 8:00 am and continue until the entire auction calendar is exhausted.

2023

Dated the 7th day of August,

JODY PHILLIPS Clerk of Circuit Court of Duval County, Florida

By: GK Griffin Deputy Clerk (Seal) Sep. 7/14/21/28 19 (23-05883D)

NOTICE OF APPLICATION FOR TAX DEED

NOTICE IS HEREBY GIVEN, that MUNICIPAL POINT CAPITAL LP the holder of the following certificate has filed said certificate for a tax deed to be issued thereon. The certificate number and year of issuance, the description of the property, and the names in which it was assessed are as follows:

Certificate No: 17332

Year of Issuance: 2021

Description of Property: 36-35 06-3S-29E ISLE OF PALMS SOUTH UNIT 7 LOT 2,N 2FT LOT 3 BLK 2

Name in which assessed:

THE CHRISMAN LIVING TRUST, ROBERT G. CHRISMAN AS TRUSTEE

Said property being in the County of Duval, State of Florida. Unless such certificate shall be redeemed according to law the property described in such certificate shall be sold to the highest bidder at www.Duval. RealTaxDeed.com, on the 11th day of October, 2023. The auction for this date will begin at 8:00 am and continue until the entire auction calendar is exhausted.

Dated the 7th day of August, 2023

JODY PHILLIPS Clerk of Circuit Court of Duval County, Florida

By: GK Griffin Deputy Clerk (Seal) Sep. 7/14/21/28 00 (23-05845D)

NOTICE OF APPLICATION FOR TAX DEED

NOTICE IS HEREBY GIVEN, that JPL INVESTMENTS CORP

OCEAN BANKS AS CUST FOR JPL IN the holder of the following certificate has filed said certificate for a tax deed to be issued thereon. The certificate number and year of issuance, the description of the property, and the names in which it was assessed are as follows:

Certificate No: 07450

Year of Issuance: 2021

Description of Property:

11-2S-26E J H DURKEES S/D

NW1/4 OF NW1/4 S 4OFT

LOTS 9,10 BLK 16

Name in which assessed:

ESTELLE W WATFORD , ESTELLE W WATFORD, ESTELLE W WATFORD, ESTELLE W WATFORD

Said property being in the County of Duval, State of Florida. Unless such certificate shall be redeemed according to law the property described in such certificate shall be sold to the highest bidder at www.Duval. RealTaxDeed.com, on the 11th day of October, 2023.

The auction for this date will begin at 8:00 am and continue until the entire auction calendar is exhausted.

Dated the 7th day of August, 2023

JODY PHILLIPS Clerk of Circuit Court of Duval County, Florida

By: GK Griffin Deputy Clerk (Seal) Sep. 7/14/21/28 19 (23-05799D)

NOTICE OF APPLICATION FOR TAX DEED

NOTICE IS HEREBY GIVEN, that IZIA ROKOSZ the holder of the following certificate has filed said certificate for a tax deed to be issued thereon. The certificate number and year of issuance, the description of the property, and the names in which it was assessed are as

NOTICE OF APPLICATION FOR TAX DEED

NOTICE IS HEREBY GIVEN, that IZIA ROKOSZ the holder of the following certificate has filed said certificate for a tax deed to be issued thereon. The certificate number and year of issuance, the description of the property, and the names in which it was assessed are as follows:

Certificate No: 09286

Name in which assessed: CECILLA RODGERS

DUVAL COUNTY • SUBSEQUENT INSERTIONS

NOTICE OF APPLICATION FOR TAX DEED

NOTICE IS HEREBY GIVEN, that IZIA ROKOSZ the holder of the following certificate has filed said certificate for a tax deed to be issued thereon. The certificate number and year of issuance, the description of the property, and the names in which it was assessed are as

NOTICE OF APPLICATION FOR TAX DEED

NOTICE IS HEREBY GIVEN, that IZIA ROKOSZ the holder of the following certificate has filed said certificate for a tax deed to be issued thereon. The certificate number and year of issuance, the description of the property, and the names in which it was assessed are as follows:

Certificate No: 08180

Year of Issuance: 2016 Description of Property: 4-36 02-2S-26E SAWYERS ADDN TO JAX LOT 34

Name in which assessed:

A.M.E. CHURCH

NOTICE OF APPLICATION FOR TAX DEED

NOTICE IS HEREBY GIVEN, that IZIA ROKOSZ the holder of the following certificate has filed said certificate for a tax deed to be issued thereon. The certificate number and year of issuance, the description of the property, and the names in which it was assessed are as follows:

Certificate No: 07387 Year of Issuance: 2021

Description of Property: 6-10 11-2S-26E .05 JACKSON S/D E 23FT LOT 16 BLK 6

Name in which assessed: HERB MCDOWELL

Said property being in the County of Duval, State of Florida. Unless such certificate shall be redeemed according to law the property described in such certificate shall be sold to the highest bidder at www.Duval. RealTaxDeed.com, on the 11th day of October, 2023.

The auction for this date will begin at 8:00 am and continue until the entire auction calendar is exhausted.

Dated the 7th day of August, 2023

JODY PHILLIPS Clerk of Circuit Court of Duval County, Florida

By: GK Griffin Deputy Clerk (Seal) Sep. 7/14/21/28 00 (23-05893D)

NOTICE OF APPLICATION FOR TAX DEED

NOTICE IS HEREBY GIVEN, that MIKON FINANICAL SERVICES INC A the holder of the following certificate has filed said certificate for a tax deed to be issued thereon. The certificate number and year of issuance, the description of the property, and the names in which it was assessed are as follows:

Certificate No: 12709

Year of Issuance: 2021

Description of Property: 08-2S-27E SUTHERLAND PLACE LOT 5 BLK 27 O/RS 2360-390,4422-527,67711790 CASE #85-5269-CA

Name in which assessed: CHARLES B. BOATRIGHT, DANIEL E. BOATRIGHT

Said property being in the County of Duval, State of Florida. Unless such certificate shall be redeemed according to law the property described in such certificate shall be sold to the highest bidder at www.Duval. RealTaxDeed.com, on the 11th day of October, 2023. The auction for this date will begin at 8:00 am and continue until the entire auction calendar is exhausted.

Dated the 7th day of August, 2023 JODY PHILLIPS Clerk of Circuit Court of Duval County, Florida

By: GK Griffin Deputy Clerk (Seal) Sep. 7/14/21/28 00 (23-05847D)

NOTICE OF APPLICATION FOR TAX DEED NOTICE IS HEREBY GIVEN, that JPL INVESTMENTS CORP OCEAN BANKS AS CUST FOR JPL IN the holder of the following certificate has filed said certificate for a tax deed to be issued thereon. The certificate number and year of issuance, the description of the property, and the names in which it was assessed are as follows: Certificate No: 12013

Year of Issuance: 2021

Description of Property: 14-1S-27E 1.916 PT GOVT LOT 2 RECD O/R 16433-1027(EX ST RD) BEING PARCEL 2

Name in which assessed: NEW BERLIN LLC, NEW BERLIN LLC, NEW BERLIN LLC c/o MIKE ITANI, REGISTERED AGENT Said property being in the County of Duval, State of Florida. Unless such certificate shall be redeemed according to law the property described in such certificate shall be sold to the highest bidder at www.Duval. RealTaxDeed.com, on the 11th day of October, 2023. The auction for this date will begin at 8:00 am and continue until the entire auction calendar is exhausted.

Dated the 7th day of August, 2023

JODY PHILLIPS Clerk of Circuit Court of Duval County, Florida By:

Said property being in the County of Duval, State of Florida. Unless such certificate shall be redeemed according to law the property described in such certificate shall be sold to the highest bidder at www.Duval. RealTaxDeed.com, on the 11th day of October, 2023.

The auction for this date will begin at 8:00 am and continue until the entire auction calendar is exhausted.

Dated the 7th day of August, 2023

JODY PHILLIPS Clerk of Circuit Court of Duval County, Florida

By: GK Griffin Deputy Clerk (Seal) Sep. 7/14/21/28 00 (23-05894D)

NOTICE OF APPLICATION FOR TAX DEED

NOTICE IS HEREBY GIVEN, that SAVVY FL LLC FIRST HORIZON COLLATERAL ASSIG the holder of the following certificate has filed said certificate for a tax deed to be issued thereon. The certificate number and year of issuance, the description of the property, and the names in which it was assessed are as follows:

Certificate No: 12551

Year of Issuance: 2021

Description of Property: 02-21 .143 CAMPBELLS ADDITION TO JACKSONVILLE LOT 4 BLK 18

Name in which assessed: FUZION77 FOUNDATION , FUZION77 FOUNDATION

Said property being in the County of Duval, State of Florida. Unless such certificate shall be redeemed according to law the property described in such certificate shall be sold to the highest bidder at www.Duval. RealTaxDeed.com, on the 11th day of October, 2023.

The auction for this date will begin at 8:00 am and continue until the entire auction calendar is exhausted.

Dated the 7th day of August, 2023 JODY PHILLIPS Clerk of Circuit Court of Duval County, Florida

By: GK Griffin Deputy Clerk (Seal) Sep. 7/14/21/28 00 (23-05849D)

NOTICE OF APPLICATION FOR TAX DEED NOTICE IS HEREBY GIVEN, that JPL INVESTMENTS CORP OCEAN BANKS AS CUST FOR JPL IN the holder of the following certificate has filed said certificate for a tax deed to be issued thereon. The certificate number and year of issuance, the description of the property, and the names in which it was assessed are as follows: Certificate No: 06029

Year of Issuance: 2021 Description of Property: 2-69 01-2S-26E .0826 NEW SPRINGFIELD W 36FT LOTS 3, 4 BLK 34

Name in which assessed: CITY OF JACKSONVILLE c/o REAL ESTATE DIVISION, CITY OF JACKSONVILLE c/o REAL ESTATE DIVISION

Said property being in the County of Duval, State of Florida. Unless such certificate shall be redeemed according to law the property described in such certificate shall be sold to the highest bidder at www.Duval. RealTaxDeed.com, on the 11th day of October, 2023. The auction for this date will begin at 8:00 am and continue until the entire auction calendar is exhausted. Dated the 7th day of August, 2023 JODY PHILLIPS Clerk of Circuit Court of Duval County, Florida By: GK Griffin Deputy Clerk (Seal) Sep. 7/14/21/28 00 (23-05824D)

Said property being in the County of Duval, State of Florida. Unless such certificate shall be redeemed according to law the property described in such certificate shall be sold to the highest bidder at www.Duval. RealTaxDeed.com, on the 11th day of October, 2023. The auction for this date will begin at 8:00 am and continue until the entire auction calendar is exhausted.

Dated the 7th day of August, 2023

JODY PHILLIPS Clerk of Circuit Court of Duval County, Florida

By: GK

Deputy Clerk (Seal) Sep. 7/14/21/28 00 (23-05899D)

NOTICE OF APPLICATION FOR TAX DEED

NOTICE IS HEREBY GIVEN, that FLORIDA TAX LIEN LLC AND OCEAN BANK the holder of the following certificate has filed said certificate for a tax deed to be issued thereon. The certificate number and year of issuance, the description of the property, and the names in which it was assessed are as follows:

Certificate No: 04946

Year of Issuance: 2021

Description of Property: 13-48 40-1S-26E R/P PT RIO VISTA LOTS 32,33,34,35 BLK 106 Name in which assessed:

OSCAR LEWIS, DECEASED , MARGARET S LEWIS, DECEASED

Said property being in the County of Duval, State of Florida. Unless such certificate shall be redeemed according to law the property described in such certificate shall be sold to the highest bidder at www.Duval. RealTaxDeed.com, on the 11th day of October, 2023. The auction for this date will begin at 8:00 am and continue until the entire auction calendar is exhausted.

Dated the 7th day of August, 2023 JODY PHILLIPS Clerk of Circuit Court of Duval County, Florida

By: GK Griffin Deputy Clerk (Seal) Sep. 7/14/21/28 00 (23-05862D)

NOTICE OF APPLICATION FOR TAX DEED NOTICE IS HEREBY GIVEN, that JPL INVESTMENTS CORP OCEAN BANKS AS CUST FOR JPL IN the holder of the following certificate has filed said certificate for a tax deed to be issued thereon. The certificate number and year of issuance, the description of the property, and the names in which it was assessed are as follows:

Certificate No: 14696

Year of Issuance: 2021

Description of Property:

12-3S-27E GALLERY HOMES AT TAPESTRY PARK CONDOMINIUM UNIT 110 BLDG B UNKNOWN % INT COMMON ELEMENTS O/R 14543-1

Name in which assessed:

HOLLY BURNHAM, HOLLY BURNHAM Said property being in the County of Duval, State of Florida. Unless such certificate shall be redeemed according to law the property described in such certificate shall be sold to the highest bidder at www.Duval. RealTaxDeed.com, on the 11th day of October, 2023. The auction for this date will begin at 8:00 am and continue until the entire auction calendar is exhausted.

Dated the 7th day of August, 2023

Said property being in the County of Duval, State of Florida. Unless such certificate shall be redeemed according to law the property described in such certificate shall be sold to the highest bidder at www.Duval. RealTaxDeed.com, on the 11th day of October, 2023. The auction for this date will begin at 8:00 am and continue until the entire auction calendar is exhausted. Dated the 7th day of August, 2023

JODY PHILLIPS Clerk of Circuit Court of Duval County, Florida By: GK Griffin Deputy Clerk (Seal) Sep. 7/14/21/28 00 (23-05905D)

NOTICE OF APPLICATION FOR TAX DEED

NOTICE IS HEREBY GIVEN, that FLORIDA TAX LIEN LLC AND OCEAN BANK the holder of the following certificate has filed said certificate for a tax deed to be issued thereon. The certificate number and year of issuance, the description of the property, and the names in which it was assessed are as follows:

Certificate No: 00976

Year of Issuance: 2021

Description of Property: 15-3 15-2S-25E 1.704 PENINSULAR LIFE INSURANCE COMPANYS R/P 1 W 150FT TRACT 2, PT CLD RW IN U-33 RESOLUTION

Name in which assessed: LINDA BOWSER JORDAN

Said property being in the County of Duval, State of Florida. Unless such certificate shall be redeemed according to law the property described in such certificate shall be sold to the highest bidder at www.Duval. RealTaxDeed.com, on the 11th day of October, 2023. The auction for this date will begin at 8:00 am and continue until the entire auction calendar is exhausted.

Dated the 7th day of August, 2023 JODY PHILLIPS

Clerk of Circuit Court of Duval County, Florida

By: GK Griffin Deputy Clerk (Seal) Sep. 7/14/21/28 00 (23-05866D)

NOTICE OF APPLICATION FOR TAX DEED NOTICE IS HEREBY GIVEN, that JPL INVESTMENTS CORP OCEAN BANKS AS CUST FOR JPL IN the holder of the following certificate has filed said certificate for a tax deed to be issued thereon. The certificate number and year of issuance, the description of the property, and the names in which it was assessed are as follows:

Certificate No: 09038

Year of Issuance: 2021

Description of Property:

2-5 37-2S-26E SPRINGFIELD W 1/2 OF E1/2 LOT 9 BLK 38

Name in which assessed: LG INVESTMENTS, LLC , LG INVESTMENTS, LLC c/o DANGELO L. GLOVER, REGISTERED AGENT , LG INVESTMENTS, LLC

Said property being in the County of Duval, State of Florida. Unless such certificate shall be redeemed according to law the property described in such certificate shall be sold to the highest bidder at www.Duval. RealTaxDeed.com, on the 11th day of October, 2023. The auction for this date will begin at 8:00 am and continue until the entire auction calendar is exhausted.

Dated the 7th day of August, 2023

JODY PHILLIPS Clerk of Circuit Court of Duval County, Florida

By: GK Griffin Deputy Clerk (Seal) Sep. 7/14/21/28 00 (23-05844D)

Said property being in the County of Duval, State of Florida. Unless such certificate shall be redeemed according to law the property described in such certificate shall be sold to the highest bidder at www.Duval. RealTaxDeed.com, on the 11th day of October, 2023. The auction for this date will begin at 8:00 am and continue until the entire auction calendar is exhausted.

Dated the 7th day of August, 2023

JODY PHILLIPS Clerk of Circuit Court of Duval County, Florida

By: GK Griffin Deputy Clerk (Seal) Sep. 7/14/21/28 19 (23-05921D)

NOTICE OF APPLICATION FOR TAX DEED NOTICE IS HEREBY GIVEN, that LIEN INTUIT LLC the holder of the following certificate has filed said certificate for a tax deed to be issued thereon. The certificate number and year of issuance, the description of the property, and the names in which it was assessed are as follows:

05331

Certificate No:

Year of Issuance: 2021

Description of Property: 31-17 39-1S-26E 1.00 HARBOR VIEW UNIT 9 TRACT A(EX PT RECD O/R 3214938, 3434-623,4620-854,4621532)

Name in which assessed: PROVERBS 22 AND 4 LAND TRUST, TRUSTEE P HENSON Said property being in the County of Duval, State of Florida. Unless such certificate shall be redeemed according to law the property described in such certificate shall be sold to the highest bidder at www.Duval. RealTaxDeed.com, on the 11th day of October, 2023. The auction for this date will begin at 8:00 am and continue until the entire auction calendar is exhausted.

Dated the 7th day of August, 2023 JODY PHILLIPS Clerk of Circuit Court of Duval County, Florida

By: GK Griffin Deputy Clerk (Seal) Sep. 7/14/21/28 00 (23-05876D)

NOTICE OF APPLICATION FOR TAX DEED NOTICE IS HEREBY GIVEN, that MIKON FINANICAL SERVICES INC A the holder of the following certificate has filed said certificate for a tax deed to be issued thereon. The certificate number and year of issuance, the description of the property, and the names in which it was assessed are as follows:

Certificate No: 03495 Year of Issuance: 2021

Description of Property: 31-62 39-1S-26E .205 LAKE PARK ESTATES UNIT 3 LOT 10 BLK 7

Name in which assessed: 14 SKY LLC c/o ABDUL RAUF BIN MOHD SAID, MANAGER, 14 SKY LLC c/o REGISTERED AGENTS INC, REGISTERED AGENT, 14 SKY LLC Said property being in the County of Duval, State of Florida. Unless such certificate shall be redeemed according to law the property described in such certificate shall be sold to the highest bidder at www.Duval. RealTaxDeed.com, on the 11th day of October, 2023. The auction for this date will begin at 8:00 am and continue until the entire auction calendar is exhausted.

THURSDAY, SEPTEMBER 14, 2023 9C JACKSONVILLE DAILY RECORD SECOND INSERTION SECOND INSERTION SECOND INSERTION SECOND INSERTION SECOND INSERTION SECOND INSERTION SECOND INSERTION SECOND INSERTION SECOND INSERTION SECOND INSERTION SECOND INSERTION SECOND INSERTION SECOND INSERTION SECOND INSERTION SECOND INSERTION SECOND INSERTION SECOND INSERTION SECOND INSERTION
Deputy
(Seal) Sep. 7/14/21/28 00 (23-05817D)
GK Griffin
Clerk
Clerk of Circuit
of Duval County, Florida By: GK Griffin Deputy Clerk (Seal) Sep. 7/14/21/28 00
JODY PHILLIPS
Court
(23-05828D)
JODY PHILLIPS Clerk of Circuit Court of Duval County, Florida By: GK Griffin Deputy Clerk (Seal) Sep. 7/14/21/28 19 (23-05840D)
Dated the 7th day of August, 2023
follows: Certificate No: 13164 Year of Issuance: 2016 Description of Property: 2-29 55-2S-26E NORTH END E 38FT LOT 8 BLK 19 Name in which assessed: DAVID CARL SINLETARY
Year
4-1
of Issuance: 2016 Description of Property:
41-2S-26E COLLEGE PARK E 26FT LOT 7 BLK 32
No: 08191 Year of Issuance: 2016 Description of Property: 4-36 02-2S-26E SAWYERS ADDN TO JAX LOT 54 Name in which assessed: ELLA G BROOKS ESTATE
follows: Certificate

NOTICE OF APPLICATION FOR TAX DEED

NOTICE IS HEREBY GIVEN, that IZIA ROKOSZ the holder of the following certificate has filed said certificate for a tax deed to be issued thereon. The certificate number and year of issuance, the description of the property, and the names in which it was assessed are as follows:

Certificate No: 09073

Year of Issuance: 2020

Description of Property:

14-49 10-2S-26E R/P BLK 4 LINCOLN PLACE LOT 15

Name in which assessed:

DANILO JAQUEZ , MARIA JAQUEZ

Said property being in the County of Duval, State of Florida. Unless such certificate shall be redeemed according to law the property described in such certificate shall be sold to the highest bidder at www.Duval. RealTaxDeed.com, on the 11th day of October, 2023. The auction for this date will begin at 8:00 am and continue until the entire auction calendar is exhausted.

Dated the 7th day of August, 2023

JODY PHILLIPS

Clerk of Circuit Court of Duval County, Florida

By: GK Griffin

Deputy Clerk (Seal) Sep. 7/14/21/28 18 (23-05923D)

NOTICE OF APPLICATION FOR TAX DEED

NOTICE IS HEREBY GIVEN, that IZIA ROKOSZ the holder of the following certificate has filed said certificate for a tax deed to be issued thereon. The certificate number and year of issuance, the description of the property, and the names in which it was assessed are as follows:

Certificate No: 08827

Year of Issuance: 2018

Description of Property:

11-50 10-2S-26E LINCOLN PLACE LOT 31 BLK 8

Name in which assessed:

MELTON JENKINS, JR.,

DECEASED, SAMUEL STEPHENS, III , TROUVARIS

TURNER , MELTON JENKINS, JR., DECEASED, HENRY L DUNBAR

Said property being in the County of Duval, State of Florida. Unless such certificate shall be redeemed according to law the property described in such certificate shall be sold to the highest bidder at www.Duval.

RealTaxDeed.com, on the 11th day of October, 2023. The auction for this date will begin at 8:00 am and continue until the entire auction calendar is exhausted.

2023

Dated the 7th day of August,

JODY PHILLIPS Clerk of Circuit Court of Duval County, Florida

By: GK Griffin Deputy Clerk (Seal) Sep. 7/14/21/28 00 (23-05933D)

NOTICE OF APPLICATION FOR TAX DEED

NOTICE IS HEREBY GIVEN, that IZIA ROKOSZ the holder of the following certificate has filed said certificate for a tax deed to be issued thereon. The certificate number and year of issuance, the description of the property, and the names in which it was assessed are as follows:

Certificate No: 21409

Year of Issuance: 2016

Description of Property:

21-25 19-2S-28E .10 ROBIN-

WOOD ACRES UNIT 2 LOT 17 (EX PT IN ST RD) BLK 64

Name in which assessed:

LARRY DEAN AS TRUSTEE FOR LAND TRUST #240 50%

OWNERSHIP, PHOENIX

OFFICE CENTER INC 50%

OWNERSHIP, PHOENIX OFFICE CENTER INC c/o

DAVID G RADCLIFFE, REGISTERED AGENT, LARRY DEAN AS TRUSTEE FOR LAND TRUST #240 50% OWNERSHIP

Said property being in the County of Duval, State of Florida. Unless such certificate shall be redeemed according to law the property described in such certificate shall be sold to the highest bidder at www.Duval. RealTaxDeed.com, on the 11th day of October, 2023.

The auction for this date will begin at 8:00 am and continue until the entire auction calendar is exhausted.

2023

Dated the 7th day of August,

JODY PHILLIPS Clerk of Circuit Court of Duval County, Florida

NOTICE OF APPLICATION FOR TAX DEED NOTICE IS HEREBY GIVEN, that IZIA ROKOSZ the holder of the following certificate has filed said certificate for a tax deed to be issued thereon. The certificate number and year of issuance, the description of the property, and the names in which it was assessed are as follows:

Certificate No: 08921

Year of Issuance: 2020

Description of Property: 4-1 10-2S-26E .030 COLLEGE PARK N 20FT OF W 65FT LOT 14 BLK 9

Name in which assessed: PIYUSHKUMAR L PATEL

Said property being in the County of Duval, State of Florida. Unless such certificate shall be redeemed according to law the property described in such certificate shall be sold to the highest bidder at www.Duval. RealTaxDeed.com, on the 11th day of October, 2023. The auction for this date will begin at 8:00 am and continue until the entire auction calendar is exhausted.

Dated the 7th day of August, 2023

JODY PHILLIPS Clerk of Circuit Court of Duval County, Florida

By: GK Griffin Deputy Clerk (Seal) Sep. 7/14/21/28 00 (23-05912D)

NOTICE OF APPLICATION FOR TAX DEED

NOTICE IS HEREBY GIVEN, that IZIA ROKOSZ the holder of the following certificate has filed said certificate for a tax deed to be issued thereon. The certificate number and year of issuance, the description of the property, and the names in which it was assessed are as follows:

Certificate No: 09695

Year of Issuance: 2017

Description of Property: 11-2S-26E STEWARTS ADDN TO JAX LOT 3 BLOCK 4 (THERE ARE OR MAY BE HAZARDOUS SUBSTANCES ON THE PROPERTY FOR MORE INFORMATION PLEASE CALL 904-630-CITY)

Name in which assessed:

LEILA MAE ADAMS

Said property being in the County of Duval, State of Florida. Unless such certificate shall be redeemed according to law the property described in such certificate shall be sold to the highest bidder at www.Duval. RealTaxDeed.com, on the 11th day of October, 2023. The auction for this date will begin at 8:00 am and continue until the entire auction calendar is exhausted.

Dated the 7th day of August, 2023

JODY PHILLIPS Clerk of Circuit Court of Duval County, Florida

By: GK Griffin Deputy Clerk (Seal) Sep. 7/14/21/28 00 (23-05911D)

NOTICE OF APPLICATION FOR TAX DEED

NOTICE IS HEREBY GIVEN, that IZIA ROKOSZ the holder of the following certificate has filed said certificate for a tax deed to be issued thereon. The certificate number and year of issuance, the description of the property, and the names in which it was assessed are as follows:

Certificate No: 03150

Year of Issuance: 2017

Description of Property: 25-1N-26E PT LOT 3 RECD O/R BK 1053-19(EX PT IN ST RD)

Name in which assessed:

JAMES C WARNOCK, EVA M WARNOCK, DECEASED

Said property being in the County of Duval, State of Florida. Unless such certificate shall be redeemed according to law the property described in such certificate shall be sold to the highest bidder at www.Duval. RealTaxDeed.com, on the 11th day of October, 2023.

The auction for this date will begin at 8:00 am and continue until the entire auction calendar is exhausted.

Dated the 7th day of August, 2023

JODY PHILLIPS Clerk of Circuit Court of Duval County, Florida

By: GK Griffin Deputy Clerk (Seal) Sep. 7/14/21/28 00 (23-05915D)

NOTICE OF APPLICATION FOR TAX DEED

NOTICE IS HEREBY GIVEN, that PHYLLIS ROKOSZ the holder of the following certificate has filed said certificate for a tax deed to be issued thereon. The certificate number and year of issuance, the description of the property, and the names in which it was assessed are as follows:

Certificate No: 00500

Year of Issuance: 2021

Description of Property: 23-1S-25E PT SW1/4 RECD O/R 7603-765

Name in which assessed:

LOUELLA R PLUMMER ESTATE c/o SONYA OLBRANTZ MCGILL, WILLIE PLUMMER SR c/o SONYA OLBRANTZ MCGILL, SONYA OLBRANTZ MCGILL

Said property being in the County of Duval, State of Florida. Unless such certificate shall be redeemed according to law the property described in such certificate shall be sold to the highest bidder at www.Duval. RealTaxDeed.com, on the 11th day of October, 2023. The auction for this date will begin at 8:00 am and continue until the entire auction calendar is exhausted.

Dated the 7th day of August, 2023

JODY PHILLIPS Clerk of Circuit Court of Duval County, Florida

By: GK Griffin Deputy Clerk (Seal) Sep. 7/14/21/28 00 (23-05877D)

NOTICE OF APPLICATION FOR TAX DEED

NOTICE IS HEREBY GIVEN, that IZIA ROKOSZ the holder of the following certificate has filed said certificate for a tax deed to be issued thereon. The certificate number and year of issuance, the description of the property, and the names in which it was assessed are as follows:

NOTICE OF APPLICATION FOR TAX DEED

NOTICE IS HEREBY GIVEN, that IZIA ROKOSZ the holder of the following certificate has filed said certificate for a tax deed to be issued thereon. The certificate number and year of issuance, the description of the property, and the names in which it was assessed are as follows:

Certificate No: 17083

Year of Issuance: 2016

Description of Property: Q-443 OAKLAND W 25.5FT LOT 60 BLK 8 O/R BKS 6755146,7081-2076

Name in which assessed: CARRIE MAE WHITE

Said property being in the County of Duval, State of Florida. Unless such certificate shall be redeemed according to law the property described in such certificate shall be sold to the highest bidder at www.Duval. RealTaxDeed.com, on the 11th day of October, 2023. The auction for this date will begin at 8:00 am and continue until the entire auction calendar is exhausted.

Dated the 7th day of August, 2023

JODY PHILLIPS

Clerk of Circuit Court of Duval County, Florida

By: GK Griffin Deputy Clerk (Seal) Sep. 7/14/21/28 00 (23-05907D)

NOTICE OF APPLICATION FOR TAX DEED

NOTICE IS HEREBY GIVEN, that FLORIDA TAX LIEN LLC AND OCEAN BANK the holder of the following certificate has filed said certificate for a tax deed to be issued thereon. The certificate number and year of issuance, the description of the property, and the names in which it was assessed are as follows:

Certificate No: 05098

Year of Issuance: 2021

Description of Property: 25-6 39-1S-26E OSCEOLA FOREST UNIT 1 LOT 11 BLK 30

Name in which assessed: THE LISTING SPOT LLC , THE LISTING SPOT LLC c/o RAYMOND W MORRIS, JR., REGISTERED AGENT , THE LISTING SPOT LLC Said property being in the County of Duval, State of Florida. Unless such certificate shall be redeemed according to law the property described in such certificate shall be sold to the highest bidder at www.Duval. RealTaxDeed.com, on the 11th day of October, 2023. The auction for this date will begin at 8:00 am and continue until the entire auction calendar is exhausted. Dated the 7th day of August, 2023

JODY PHILLIPS Clerk of Circuit Court of Duval County, Florida

By: GK Griffin Deputy Clerk (Seal) Sep. 7/14/21/28 00 (23-05863D)

NOTICE OF APPLICATION FOR TAX DEED

NOTICE IS HEREBY GIVEN, that KEITH SARGENT the holder of the following certificate has filed said certificate for a tax deed to be issued thereon. The certificate number and year of issuance, the description of the property, and the names in which it was assessed are as follows:

NOTICE OF APPLICATION FOR TAX DEED

NOTICE IS HEREBY GIVEN, that IZIA ROKOSZ the holder of the following certificate has filed said certificate for a tax deed to be issued thereon. The certificate number and year of issuance, the description of the property, and the names in which it was assessed are as follows:

Certificate No: 08186

of Issuance: 2016

of Property: 4-36 02-2S-26E SAWYERS ADDN TO JAX LOT 43

Name in which assessed: ROGER WILLIAMS , KATHERINE WILLIAMS

Said property being in the County of Duval, State of Florida. Unless such certificate shall be redeemed according to law the property described in such certificate shall be sold to the highest bidder at www.Duval. RealTaxDeed.com, on the 11th day of October, 2023. The auction for this date will begin at 8:00 am and continue until the entire auction calendar is exhausted.

Dated the 7th day of August, 2023

JODY PHILLIPS Clerk of Circuit Court of Duval County, Florida By: GK Griffin Deputy Clerk (Seal) Sep. 7/14/21/28 00 (23-05906D)

NOTICE OF APPLICATION FOR TAX DEED

NOTICE IS HEREBY GIVEN, that FLORIDA TAX LIEN LLC AND OCEAN BANK the holder of the following certificate has filed said certificate for a tax deed to be issued thereon. The certificate number and year of issuance, the description of the property, and the names in which it was assessed are as follows:

Certificate No: 02271

Year of Issuance: 2021

Description of Property: 5-93 28-3S-25E 1.05 JACKSONVILLE HEIGHTS PT TRACTS

4,5, CLSD R/W RECD O/R 18378-2054 BLK 1 BEING PARCELS 1,2

Name in which assessed: MICHAEL MILLS , MICHAEL MILLS

Said property being in the County of Duval, State of Florida. Unless such certificate shall be redeemed according to law the property described in such certificate shall be sold to the highest bidder at www.Duval. RealTaxDeed.com, on the 11th day of October, 2023. The auction for this date will begin at 8:00 am and continue until the entire auction calendar is exhausted.

Dated the 7th day of August, 2023

JODY PHILLIPS Clerk of Circuit Court of Duval County, Florida

By: GK Griffin Deputy Clerk (Seal) Sep. 7/14/21/28 00 (23-05859D)

NOTICE OF APPLICATION FOR TAX DEED

NOTICE IS HEREBY GIVEN, that IZIA ROKOSZ the holder of the following certificate has filed said certificate for a tax deed to be issued thereon. The certificate number and year of issuance, the description of the property, and the names in which it was assessed are as follows:

Certificate No: 09660

Year of Issuance: 2016

Description of Property: 4-21 11-2S-26E COLLEGE HEIGHTS E 18 1/2FT OF W 40FT LOTS 9,10 BLK 2 Name in which assessed: DOMINGO SADIA

Said property being in the County of Duval, State of Florida. Unless such certificate shall be redeemed according to law the property described in such certificate shall be sold to the highest bidder at www.Duval. RealTaxDeed.com, on the 11th day of October, 2023. The auction for this date will begin at 8:00 am and continue until the entire auction calendar is exhausted.

Dated the 7th day of August, 2023

JODY PHILLIPS Clerk of Circuit Court of Duval County, Florida

By: GK Griffin Deputy Clerk (Seal) Sep. 7/14/21/28 18 (23-05895D)

NOTICE OF APPLICATION FOR TAX DEED

NOTICE IS HEREBY GIVEN, that SAVVY FL LLC FIRST HORIZON COLLATERAL ASSIG the holder of the following certificate has filed said certificate for a tax deed to be issued thereon. The certificate number and year of issuance, the description of the property, and the names in which it was assessed are as follows:

Certificate No: 11265

Year of Issuance: 2021

Description of Property: 54-52 32-3S-26E .29 ORTEGA CROSSING UNIT 3 LOT 53

Name in which assessed: A Y VENTURES, INC., A Y VENTURES, INC. c/o ESTHER NICHOLS, CPA, REGISTERED AGENT , A Y VENTURES, INC. Said property being in the County of Duval, State of Florida. Unless such certificate shall be redeemed according to law the property described in such certificate shall be sold to the highest bidder at www.Duval. RealTaxDeed.com, on the 11th day of October, 2023. The auction for this date will begin at 8:00 am and continue until the entire auction calendar is exhausted. Dated the 7th day of August, 2023

JODY PHILLIPS Clerk of Circuit Court of Duval County, Florida

By: GK Griffin Deputy Clerk (Seal) Sep. 7/14/21/28 00 (23-05855D)

Certificate No: 06975

Year of Issuance: 2017

Description of Property: 31-93 43-1S-26E WASHINGTON HEIGHTS ESTATES LOT 6 BLK 10

Name in which assessed: HOLY GHOST CHURCH OF GOD PURCHASED WITH HIS BLOOD INC, HOLY GHOST CHURCH OF GOD PURCHASED WITH HIS BLOOD INC c/o SHALEISHA

S WRIGHT PMD, REGISTERED AGENT, HOLY GHOST CHURCH OF GOD PURCHASED WITH HIS BLOOD INC, HOLY GHOST CHURCH OF GOD PURCHASED WITH HIS BLOOD INC

Said property being in the County of Duval, State of Florida. Unless such certificate shall be redeemed according to law the property described in such certificate shall be sold to the highest bidder at www.Duval. RealTaxDeed.com, on the 11th day of October, 2023. The auction for this date will begin at 8:00 am and continue until the entire auction calendar is exhausted.

Dated the 7th day of August, 2023 JODY PHILLIPS Clerk of Circuit Court of Duval County, Florida By: GK Griffin Deputy Clerk (Seal) Sep. 7/14/21/28 00 (23-05966D)

Certificate No: 12552

Year of Issuance: 2017

Description of Property:

2-29 55-2S-26E NORTH END S 50FT LOT 7 BLK 24

Name in which assessed: ORPHAN PROPERTIES LAND SERVICES, ORPHAN PROPERTIES TRUST #021224-0000, ORPHAN PROPERTIES TRUST #021280-0000, ORPHAN PROPERTIES TRUST #0219090000, ORPHAN PROPERTIES TRUST #021914-0010, ORPHAN PROPERTIES TRUST #0222500000, ORPHAN PROPERTIES TRUST #084698-0000, ORPHAN PROPERTIES TRUST #133056-0000

Said property being in the County of Duval, State of Florida. Unless such certificate shall be redeemed according to law the property described in such certificate shall be sold to the highest bidder at www.Duval. RealTaxDeed.com, on the 11th day of October, 2023. The auction for this date will begin at 8:00 am and continue until the entire auction calendar is exhausted.

Dated the 7th day of August,

Certificate No: 01662

Year of Issuance: 2018

Description of Property: 35-2S-25E .08 PT GOVT LOT 8 RECD O/R 3064-56 LYING N OF O/R 6120-5,6255 -602, LYING W OF O/R 63842077,LYING S OF O/R 96421532

Name in which assessed: MYRTIS HESTER PARK, DECEASED, JANNIE HESTER MAY, DECEASED, EDNA HESTER MCNEILL, DECEASED, KENNETH M HESTER , DECEASED, ANITA HESTER TEIPEL, RICHARD L HESTER , JAMES W FOSTER JR, PATRICIA F DEROJAS

Said property being in the County of Duval, State of Florida. Unless such certificate shall be redeemed according to law the property described in such certificate shall be sold to the highest bidder at www.Duval. RealTaxDeed.com, on the 11th day of October, 2023. The auction for this date will begin at 8:00 am and continue until the entire auction calendar is exhausted.

2023

Dated the 7th day of August,

JODY PHILLIPS Clerk of Circuit Court of Duval County, Florida By: GK Griffin Deputy Clerk

NOTICE OF APPLICATION FOR TAX DEED NOTICE IS HEREBY GIVEN, that JPL INVESTMENTS CORP OCEAN BANKS AS CUST FOR JPL IN the holder of the following certificate has filed said certificate for a tax deed to be issued thereon. The certificate number and year of issuance, the description of the property, and the names in which it was assessed are as follows:

Certificate No: 01785

Year of Issuance: 2021 Description of Property: 3-50 10-3S-25E JACKSONVILLE HEIGHTS TOWNSITE LOT 23 (EX PT IN ST RD),PT CLOSED ALLEY BLK 58

Name in which assessed: NATALIE J BLOOM AS TRUSTEE OF THE NATALIE J BLOOM REVOCABLE LIVING TRUST , COLLEEN D GELMAN, STANLEY B GELMAN, NATALIE J BLOOM TRUST , NATALIE J BLOOM, COLLEEN GELMAN, STANLEY B GELMAN Said property being in the County of Duval, State of Florida. Unless such certificate shall be redeemed according to law the property described in such certificate shall be sold to the highest bidder at www.Duval. RealTaxDeed.com, on the 11th day of October, 2023. The auction for this date will begin at 8:00 am and continue until the entire auction calendar is exhausted.

Dated the 7th day of August, 2023 JODY PHILLIPS Clerk of Circuit Court of Duval County, Florida

By: GK Griffin Deputy Clerk (Seal) Sep. 7/14/21/28 00 (23-05825D)

NOTICE OF APPLICATION FOR TAX DEED NOTICE IS HEREBY GIVEN, that JPL INVESTMENTS CORP OCEAN BANKS AS CUST FOR JPL IN the holder of the following certificate has filed said certificate for a tax deed to be issued thereon. The certificate number and year of issuance, the description of the property, and the names in which it was assessed are as follows:

Certificate No: 01786 Year of Issuance: 2021 Description of Property: 3-50 10-3S-25E JACKSONVILLE HEIGHTS TOWNSITE LOT 24 (EX PT IN ST RD),PT CLOSED ALLEY BLK 58 Name in which assessed: NATALIE J BLOOM AS TRUSTEE OF THE NATALIE J BLOOM REVOCABLE LIVING TRUST , COLLEEN D GELMAN , STANLEY B GELMAN, NATALIE J BLOOM TRUST , NATALIE J BLOOM, COLLEEN D GELMAN, STANLEY B GELMAN Said property being in the County of Duval, State of Florida. Unless such certificate shall be redeemed according to law the property described in such certificate shall be sold to the highest bidder at www.Duval. RealTaxDeed.com, on the 11th day of October, 2023. The auction for this date will begin at 8:00 am and continue until the entire auction calendar is exhausted.

Dated the 7th day of August, 2023 JODY PHILLIPS Clerk of Circuit Court of Duval County, Florida By: GK Griffin Deputy Clerk (Seal) Sep. 7/14/21/28 18 (23-05826D)

10C THURSDAY, SEPTEMBER 14, 2023 JACKSONVILLE DAILY RECORD SECOND INSERTION SECOND INSERTION SECOND INSERTION SECOND INSERTION SECOND INSERTION SECOND INSERTION SECOND INSERTION SECOND INSERTION SECOND INSERTION SECOND INSERTION SECOND INSERTION SECOND INSERTION SECOND INSERTION SECOND INSERTION SECOND INSERTION SECOND INSERTION
SECOND INSERTION SECOND INSERTION
(Seal) Sep. 7/14/21/28 00 (23-05874D)
Year
Description
(Seal) Sep. 7/14/21/28 18
(23-05939D)
2023 JODY PHILLIPS Clerk of Circuit Court of Duval County, Florida By: GK Griffin Deputy Clerk (Seal) Sep. 7/14/21/28 00 (23-05969D)
NOTICE
assessed
as follows:
NOTICE OF APPLICATION FOR TAX DEED
IS HEREBY GIVEN, that IZIA ROKOSZ the holder of the following certificate has filed said certificate for a tax deed to be issued thereon. The certificate number and year of issuance, the description of the property, and the names in which it was
are
PUBLIC NOTICES DUVAL COUNTY • SUBSEQUENT INSERTIONS

NOTICE OF APPLICATION FOR TAX DEED

NOTICE IS HEREBY GIVEN, that MIKON FINANICAL SERVICES INC A the holder of the following certificate has filed said certificate for a tax deed to be issued thereon. The certificate number and year of issuance, the description of the property, and the names in which it was assessed are as follows:

Certificate No: 04243

Year of Issuance: 2021

Description of Property: 27-80 39-1S-26E FLORADALE UNIT 4 LOT 5 BLK 1

Name in which assessed: KAREN DAVIS , ESTATE OF JAMES DALLAS, DECEASED

Said property being in the County of Duval, State of Florida. Unless such certificate shall be redeemed according to law the property described in such certificate shall be sold to the highest bidder at www.Duval. RealTaxDeed.com, on the 11th day of October, 2023. The auction for this date will begin at 8:00 am and continue until the entire auction calendar is exhausted.

Dated the 7th day of August, 2023 JODY PHILLIPS Clerk of Circuit Court of Duval County, Florida

By: GK Griffin Deputy Clerk (Seal) Sep. 7/14/21/28 23 (23-05773D)

NOTICE OF APPLICATION FOR TAX DEED

NOTICE IS HEREBY GIVEN, that MIKON FINANICAL SERVICES INC A the holder of the following certificate has filed said certificate for a tax deed to be issued thereon. The certificate number and year of issuance, the description of the property, and the names in which it was assessed are as follows:

Certificate No: 07077

Year of Issuance: 2021

Description of Property: 10-2S-26E R/P WEST JAX

ANNEX W 10FT LOT 4, LOT 5 BLK 3 O/R BK 4852-416

Name in which assessed:

MELVIN O DALLAS , TANSY TAYLOR DALLAS

Said property being in the County of Duval, State of Florida. Unless such certificate shall be redeemed according to law the property described in such certificate shall be sold to the highest bidder at www.Duval. RealTaxDeed.com, on the 11th day of October, 2023.

The auction for this date will begin at 8:00 am and continue until the entire auction calendar is exhausted.

2023

Dated the 7th day of August,

JODY PHILLIPS Clerk of Circuit Court of Duval County, Florida

By: GK Griffin Deputy Clerk (Seal) Sep. 7/14/21/28 00 (23-05750D)

NOTICE OF APPLICATION FOR TAX DEED NOTICE IS HEREBY GIVEN, that MIKON FINANICAL SERVICES INC A the holder of the following certificate has filed said certificate for a tax deed to be issued thereon. The certificate number and year of issuance, the description of the property, and the names in which it was assessed are as follows:

Certificate No: 07662

Year of Issuance: 2021

Description of Property:

1-78 11-2S-26E STEWARTS

ADDN TO JAX LOT 14 BLK 3 (THERE ARE OR MAY BE HAZARDOUS SUBSTANCES ON THE PROPERTY FOR MORE

INFORMATION PLEASE CALL 904-630-CITY)

Name in which assessed: EDMOND SAFAR, EDMOND SAFAR

Said property being in the County of Duval, State of Florida. Unless such certificate shall be redeemed according to law the property described in such certificate shall be sold to the highest bidder at www.Duval. RealTaxDeed.com, on the 11th day of October, 2023.

The auction for this date will begin at 8:00 am and continue until the entire auction calendar is exhausted.

Dated the 7th day of August, 2023

JODY PHILLIPS Clerk of Circuit Court of Duval County, Florida

By: GK Griffin Deputy Clerk (Seal) Sep. 7/14/21/28 23 (23-05764D)

NOTICE OF APPLICATION FOR TAX DEED

NOTICE IS HEREBY GIVEN, that MIKON FINANICAL SERVICES INC A the holder of the following certificate has filed said certificate for a tax deed to be issued thereon. The certificate number and year of issuance, the description of the property, and the names in which it was assessed

NOTICE OF APPLICATION FOR TAX DEED NOTICE IS HEREBY GIVEN, that MIKON FINANICAL SERVICES INC A the holder of the following certificate has filed said certificate for a tax deed to be issued thereon. The certificate number and year of issuance, the description of the property, and the names in which it was assessed are as follows:

Certificate No: 06229

Year of Issuance: 2021

Description of Property: 3-89 03-2S-26E GRAND BLVD LOT 8 BLK 13

Name in which assessed:

KENYA MCCLOUD , KENYA MCCLOUD

NOTICE OF APPLICATION FOR TAX DEED

NOTICE IS HEREBY GIVEN, that MIKON FINANICAL SERVICES INC A the holder of the following certificate has filed said certificate for a tax deed to be issued thereon. The certificate number and year of issuance, the description of the property, and the names in which it was assessed are as follows:

Certificate No: 15526

Year of Issuance: 2021

Description of Property: 27-28 12-4S-27E GREENLAND PARK HOMESITES LOT 3 BLK 2

Name in which assessed:

REGINALD JAMES

NOTICE OF APPLICATION FOR TAX DEED

NOTICE IS HEREBY GIVEN, that MIKON FINANICAL SERVICES INC A the holder of the following certificate has filed said certificate for a tax deed to be issued thereon. The certificate number and year of issuance, the description of the property, and the names in which it was assessed are as follows:

Certificate No: 12466

Year of Issuance: 2021

Description of Property: 2-21 07-2S-27E CAMPBELLS ADDN TO JAX LOT 11 BLK 1

Name in which assessed:

ELEANOR E MANGRAM , ELEANOR E MANGRAM

NOTICE OF APPLICATION FOR TAX DEED NOTICE IS HEREBY GIVEN, that JPL INVESTMENTS CORP OCEAN BANKS AS CUST FOR JPL IN the holder of the following certificate has filed said certificate for a tax deed to be issued thereon. The certificate number and year of issuance, the description of the property, and the names in which it was assessed are as follows:

Certificate No: 10017

Year of Issuance: 2021

Description of Property: 2-29 55-26-26E NORTH END LOT 19 BLOCK 36

Name in which assessed: JARMAL R WOODARD

being in the

Duval,

of Flor

Unless such certificate shall be redeemed according to law the property described in such certificate shall be sold to the highest bidder at www.Duval. RealTaxDeed.com, on the 11th day of October, 2023.

The auction for this date will begin at 8:00 am and continue until the entire auction calendar is exhausted.

Dated the 7th day of August, 2023 JODY PHILLIPS Clerk of Circuit Court of Duval County, Florida

By: GK Griffin Deputy Clerk (Seal) Sep. 7/14/21/28 00 (23-05781D)

NOTICE OF APPLICATION FOR TAX DEED

NOTICE IS HEREBY GIVEN, that MIKON FINANICAL SERVICES INC A the holder of the following certificate has filed said certificate for a tax deed to be issued thereon. The certificate number and year of issuance, the description of the property, and the names in which it was assessed are as follows:

Certificate No: 02922

Year of Issuance: 2021

Description of Property: 19-1S-26E LINCOLN VILLAS LOT 42 BLOCK 12 O/R BK 2429-332

Name in which assessed: WESLEY PRINCE, SR. , ANNIE MAE PRINCE

Said property being in the County of Duval, State of Florida. Unless such certificate shall be redeemed according to law the property described in such certificate shall be sold to the highest bidder at www.Duval. RealTaxDeed.com, on the 11th day of October, 2023. The auction for this date will begin at 8:00 am and continue until the entire auction calendar is exhausted.

Dated the 7th day of August, 2023 JODY PHILLIPS Clerk of Circuit Court of Duval County, Florida

By: GK Griffin Deputy Clerk (Seal) Sep. 7/14/21/28 00 (23-05751D)

NOTICE OF APPLICATION FOR TAX DEED

NOTICE IS HEREBY GIVEN, that AGTC INVESTMENTS, LLC OCEAN BANK the holder of the following certificate has filed said certificate for a tax deed to be issued thereon. The certificate number and year of issuance, the description of the property, and the names in which it was assessed are as follows: Certificate No: 16846 Year of Issuance: 2021

Description of Property: AG-212 37-2S-29E .321 DEWEES GRANT S/D PT LOT 2 DIV 5 RECD O/R 19138- 1965 (EX PT IN R/W)

Name in which assessed:

Said property being in the County of Duval, State of Florida. Unless such certificate shall be redeemed according to law the property described in such certificate shall be sold to the highest bidder at www.Duval. RealTaxDeed.com, on the 11th day of October, 2023.

The auction for this date will begin at 8:00 am and continue until the entire auction calendar is exhausted.

Dated the 7th day of August, 2023

JODY PHILLIPS Clerk of Circuit Court of Duval County, Florida

By: GK Griffin Deputy Clerk (Seal) Sep. 7/14/21/28 00 (23-05776D)

NOTICE OF APPLICATION FOR TAX DEED

NOTICE IS HEREBY GIVEN, that MIKON FINANICAL SERVICES INC A the holder of the following certificate has filed said certificate for a tax deed to be issued thereon. The certificate number and year of issuance, the description of the property, and the names in which it was assessed are as follows:

Certificate No: 06919

Year of Issuance: 2021

Description of Property: 22-007 08-2S-26E WESTWOOD PARK LOT 34 BLOCK 5 O/R BK 1913-159

Name in which assessed: PAUL COLBERT , CHRISTINE COLBERT

Said property being in the County of Duval, State of Florida. Unless such certificate shall be redeemed according to law the property described in such certificate shall be sold to the highest bidder at www.Duval. RealTaxDeed.com, on the 11th day of October, 2023. The auction for this date will begin at 8:00 am and continue until the entire auction calendar is exhausted.

Dated the 7th day of August, 2023

JODY PHILLIPS Clerk of Circuit Court of Duval County, Florida

By: GK Griffin Deputy Clerk (Seal) Sep. 7/14/21/28 00 (23-05765D)

NOTICE OF APPLICATION FOR TAX DEED

NOTICE IS HEREBY GIVEN, that JPL INVESTMENTS CORP OCEAN BANKS AS CUST FOR JPL IN the holder of the following certificate has filed said certificate for a tax deed to be issued thereon. The certificate number and year of issuance, the description of the property, and the names in which it was assessed are as follows:

Certificate No: 06341

Year of Issuance: 2021

Description of Property:

3-89 02-2S-26 GRAND BLVD LOT 1 BLK 62

Name in which assessed:

ELIZABETHIAN ENTERPRISES, LLC, ELIZABETHIAN ENTERPRISES, LLC

c/o VICTORIA E JOHNSON, REGISTERED AGENT, ELIZABETHIAN ENTERPRISES, LLC

Said property being in the County of Duval, State of Florida. Unless such certificate shall be redeemed according to law the property described in such certificate shall be sold to the highest bidder at www.Duval. RealTaxDeed.com, on the 11th day of October, 2023. The auction for this date will begin at 8:00 am and continue until the entire auction calendar is exhausted.

Said property being in the County of Duval, State of Florida. Unless such certificate shall be redeemed according to law the property described in such certificate shall be sold to the highest bidder at www.Duval. RealTaxDeed.com, on the 11th day of October, 2023. The auction for this date will begin at 8:00 am and continue until the entire auction calendar is exhausted.

Dated the 7th day of August, 2023

JODY PHILLIPS Clerk of Circuit Court of Duval County, Florida

By: GK Griffin Deputy Clerk (Seal) Sep. 7/14/21/28 00 (23-05777D)

NOTICE OF APPLICATION FOR TAX DEED

NOTICE IS HEREBY GIVEN, that MIKON FINANICAL SERVICES INC A the holder of the following certificate has filed said certificate for a tax deed to be issued thereon. The certificate number and year of issuance, the description of the property, and the names in which it was assessed are as follows:

Certificate No: 00498

Year of Issuance: 2021

Description of Property: 23-1S-25E 2.27 N1/2 OF W1/2 OF E1/2 OF NW1/4 OF SW1/4 (EX N 360FT)

Name in which assessed: WILLIE R. PLUMMER , LOUELLA R. PLUMMER

Said property being in the County of Duval, State of Florida. Unless such certificate shall be redeemed according to law the property described in such certificate shall be sold to the highest bidder at www.Duval. RealTaxDeed.com, on the 11th day of October, 2023. The auction for this date will begin at 8:00 am and continue until the entire auction calendar is exhausted.

2023

Dated the 7th day of August,

JODY PHILLIPS Clerk of Circuit Court of Duval County, Florida

By: GK Griffin Deputy Clerk (Seal) Sep. 7/14/21/28 00 (23-05770D)

NOTICE OF APPLICATION FOR TAX DEED NOTICE IS HEREBY GIVEN, that JPL INVESTMENTS CORP OCEAN BANKS AS CUST FOR JPL IN the holder of the following certificate has filed said certificate for a tax deed to be issued thereon. The certificate number and year of issuance, the description of the property, and the names in which it was assessed are as follows:

Certificate No: 04573

Year of Issuance: 2021

Description of Property:

17-84 50-1S-27E HENRYS R/P OF 1ST ADDN TO BUFFALO GARDENS LOT 4 BLK 1

Name in which assessed:

BARBARA J JONES, BARBARA J JONES LIFE ESTATE , PAUL STUART TATE , CHRISTINE KAY

Said property being in the County of Duval, State of Florida. Unless such certificate shall be redeemed according to law the property described in such certificate shall be sold to the highest bidder at www.Duval.

RealTaxDeed.com, on the 11th day of October, 2023. The auction for this date will begin at 8:00 am and continue until the entire auction calendar is exhausted.

Dated the 7th day of August, 2023 JODY PHILLIPS Clerk of Circuit Court of Duval County, Florida

By: GK Griffin Deputy Clerk (Seal) Sep. 7/14/21/28 00 (23-05779D)

NOTICE OF APPLICATION FOR TAX DEED

NOTICE IS HEREBY GIVEN, that MIKON FINANICAL SERVICES INC A the holder of the following certificate has filed said certificate for a tax deed to be issued thereon. The certificate number and year of issuance, the description of the property, and the names in which it was assessed are as follows:

Certificate No: 06273

Year of Issuance: 2021

Description of Property: 3-89 02-2S-26E GRAND BLVD W 27.67FT LOT 2,E 4.67FT LOT 3 BLK 39

Name in which assessed: SHAFRONIA CAMPBELL, SHAFRONIA CAMPBELL

Said property being in the County of Duval, State of Florida. Unless such certificate shall be redeemed according to law the property described in such certificate shall be sold to the highest bidder at www.Duval. RealTaxDeed.com, on the 11th day of October, 2023. The auction for this date will begin at 8:00 am and continue until the entire auction calendar is exhausted.

Dated the 7th day of August, 2023 JODY PHILLIPS

Clerk of Circuit Court of Duval County, Florida

By: GK Griffin Deputy Clerk (Seal) Sep. 7/14/21/28 00 (23-05778D)

NOTICE OF APPLICATION FOR TAX DEED

NOTICE IS HEREBY GIVEN, that JPL INVESTMENTS CORP OCEAN BANKS AS CUST FOR JPL IN the holder of the following certificate has filed said certificate for a tax deed to be issued thereon. The certificate number and year of issuance, the description of the property, and the names in which it was assessed are as follows:

Certificate No: 11566

Year of Issuance: 2021

Description of Property:

30-42 42-3S-26E TIMUQUANA ACRES LOTS 32,33 BLK 2

Name in which assessed:

Said property being in the County of Duval, State of Florida. Unless such certificate shall be redeemed according to law the property described in such certificate shall be sold to the highest bidder at www.Duval. RealTaxDeed.com, on the 11th day of October, 2023. The auction for this date will begin at 8:00 am and continue until the entire auction calendar is exhausted.

Dated the 7th day of August, 2023 JODY PHILLIPS Clerk of Circuit Court of Duval County, Florida

By: GK Griffin Deputy Clerk (Seal) Sep. 7/14/21/28 23 (23-05794D)

NOTICE OF APPLICATION FOR TAX DEED

NOTICE IS HEREBY GIVEN, that MIKON FINANICAL SERVICES INC A the holder of the following certificate has filed said certificate for a tax deed to be issued thereon. The certificate number and year of issuance, the description of the property, and the names in which it was assessed are as follows:

Certificate No: 06436

Year of Issuance: 2021

Description of Property: 03-2S-26E EAST GRAND PARK LOT 8 BLK 17 NATALIE CUMMINGS O/R BK 6569-1664

Name in which assessed: NOEL CUMMINGS, NATALIE CUMMINGS

Said property being in the County of Duval, State of Florida. Unless such certificate shall be redeemed according to law the property described in such certificate shall be sold to the highest bidder at www.Duval. RealTaxDeed.com, on the 11th day of October, 2023. The auction for this date will begin at 8:00 am and continue until the entire auction calendar is exhausted.

Dated the 7th day of August, 2023 JODY PHILLIPS

Clerk of Circuit Court of Duval County, Florida

By: GK Griffin Deputy Clerk (Seal) Sep. 7/14/21/28 00 (23-05782D)

NOTICE OF APPLICATION FOR TAX DEED

NOTICE IS HEREBY GIVEN, that MIKON FINANICIAL SERVICES INC A the holder of the following certificate has filed said certificate for a tax deed to be issued thereon. The certificate number and year of issuance, the description of the property, and the names in which it was assessed are as follows: Certificate No: 03457

Year of Issuance: 2021

Description of Property: 16-42 39-1S-26E .182 ISABELL PICKETTS S/D PT LOT 18 PICKETTS S/D PT LOT 1 RECD O/R 19950-570

Name in which assessed:

day of August,

Dated the 7th day of August, 2023

JODY PHILLIPS

Said property being in the County of Duval, State of Florida. Unless such certificate shall be redeemed according to law the property described in such certificate shall be sold to the highest bidder at www.Duval. RealTaxDeed.com, on the 11th day of October, 2023. The auction for this date will begin at 8:00 am and continue until the entire auction calendar is exhausted. Dated the 7th day of August, 2023 JODY PHILLIPS Clerk of Circuit Court of Duval County, Florida By: GK Griffin Deputy Clerk (Seal) Sep. 7/14/21/28 00 (23-05809D)

CLARA LUCILLE SOWERS, MARILYN ELLEN MAE SOWERS, BARBARA HAYWARD JUSTICE , SHELBY JEAN ADAMS MILLER , RICHARD DEAN ADAMS JR Said property being in the County of Duval, State of Florida. Unless such certificate shall be redeemed according to law the property described in such certificate shall be sold to the highest bidder at www.Duval. RealTaxDeed.com, on the 11th day of October, 2023. The auction for this date will begin at 8:00 am and continue until the entire auction calendar is exhausted.

Dated the 7th day of August, 2023 JODY PHILLIPS Clerk of Circuit Court of Duval County, Florida By: GK Griffin Deputy Clerk

GREGORY KENNEBREW, GREGORY PULLIAM, GREGORY PULLIAM , GREGORY KENNEBREW, GREGORY PULLIAM Said property being in the County of Duval, State of Florida. Unless such certificate shall be redeemed according to law the property described in such certificate shall be sold to the highest bidder at www.Duval. RealTaxDeed.com, on the 11th day of October, 2023. The auction for this date will begin at 8:00 am and continue until the entire auction calendar is exhausted.

Dated the 7th day of August, 2023 JODY PHILLIPS Clerk of Circuit Court of Duval County, Florida

GK Griffin Deputy Clerk (Seal) Sep. 7/14/21/28 23 (23-05839D)

THURSDAY, SEPTEMBER 14, 2023 11C JACKSONVILLE DAILY RECORD SECOND INSERTION SECOND INSERTION SECOND INSERTION SECOND INSERTION SECOND INSERTION SECOND INSERTION SECOND INSERTION SECOND INSERTION SECOND INSERTION SECOND INSERTION SECOND INSERTION SECOND INSERTION SECOND INSERTION SECOND INSERTION SECOND INSERTION SECOND INSERTION SECOND INSERTION SECOND INSERTION
FREDERICK
STALNECKER,
DAVIS STALNECKER,
STALNECKER
DAVIS
FREDERICK
FREDERICK DAVIS
Said property being in the County of Duval, State of Florida. Unless such certificate shall be redeemed according to law the property described in such certificate shall be sold to the highest bidder at www.Duval. RealTaxDeed.com, on the 11th day of October, 2023. The auction for this date will begin at 8:00 am and continue until the entire auction calendar is exhausted. Dated the 7th
2023 JODY PHILLIPS Clerk of Circuit Court of Duval County, Florida By: GK Griffin Deputy Clerk (Seal) Sep. 7/14/21/28 00 (23-05744D)
as follows: Certificate No: 00477 Year of Issuance: 2021 Description of Property: 20-1S-25E 7.48 PT GOVT LOT 1 RECD O/R 10682-263 Name in which assessed: STANLEY K THOMPSON, CONNIE R THOMPSON
are
Said property
County of
State
ida.
(Seal) Sep. 7/14/21/28 00
Clerk of Circuit Court of Duval County, Florida By: GK Griffin Deputy Clerk
(23-05800D)
(Seal) Sep.
7/14/21/28 00 (23-05808D)
PUBLIC NOTICES DUVAL COUNTY • SUBSEQUENT INSERTIONS

NOTICE OF APPLICATION FOR TAX DEED

NOTICE IS HEREBY GIVEN, that MIKON FINANICAL SERVICES INC A the holder of the following certificate has filed said certificate for a tax deed to be issued thereon. The certificate number and year of issuance, the description of the property, and the names in which it was assessed are as follows:

Certificate No: 12424

Year of Issuance: 2021

Description of Property: 2-79 07-2S-27E HERRINS S/D LOT 11

Name in which assessed:

JERRY LYNN REDDEN

Said property being in the County of Duval, State of Florida. Unless such certificate shall be redeemed according to law the property described in such certificate shall be sold to the highest bidder at www.Duval. RealTaxDeed.com, on the 11th day of October, 2023.

The auction for this date will begin at 8:00 am and continue until the entire auction calendar is exhausted.

2023

Dated the 7th day of August,

JODY PHILLIPS Clerk of Circuit Court of Duval County, Florida

By: GK Griffin Deputy Clerk (Seal) Sep. 7/14/21/28 24 (23-05772D)

NOTICE OF APPLICATION FOR TAX DEED

NOTICE IS HEREBY GIVEN, that JPL INVESTMENTS CORP OCEAN BANKS AS CUST FOR JPL IN the holder of the following certificate has filed said certificate for a tax deed to be issued thereon. The certificate number and year of issuance, the description of the property, and the names in which it was assessed are as follows:

Certificate No: 06906

Year of Issuance: 2021

Description of Property: 22-7 08-2S-26E WESTWOOD PARK LOT 11 BLK 2

Name in which assessed: JALAAL OMAR DAVIS JR , OMAR DAVIS

Said property being in the County of Duval, State of Florida. Unless such certificate shall be redeemed according to law the property described in such certificate shall be sold to the highest bidder at www.Duval. RealTaxDeed.com, on the 11th day of October, 2023. The auction for this date will begin at 8:00 am and continue until the entire auction calendar is exhausted.

Dated the 7th day of August, 2023 JODY PHILLIPS Clerk of Circuit Court of Duval County, Florida

By: GK Griffin

Deputy Clerk (Seal) Sep. 7/14/21/28 00 (23-05803D)

NOTICE OF APPLICATION FOR TAX DEED

NOTICE IS HEREBY GIVEN, that JPL INVESTMENTS CORP

OCEAN BANKS AS CUST FOR JPL IN the holder of the following certificate has filed said certificate for a tax deed to be issued thereon. The certificate number and year of issuance, the description of the property, and the names in which it was assessed are as follows:

Certificate No: 09440

Year of Issuance: 2021

Description of Property:

10-2S-26E LINCOLNTON S

15FT LOT 5,LOT 7 BLK P O/R BK 6684-1610

Name in which assessed:

AGNES HILL , CARRIE HILL STEVENSON, AGNES HILL

ESTATE c/o CARRIE HILL STEVENSON

Said property being in the County of Duval, State of Florida. Unless such certificate shall be redeemed according to law the property described in such certificate shall be sold to the highest bidder at www.Duval. RealTaxDeed.com, on the 11th day of October, 2023. The auction for this date will begin at 8:00 am and continue until the entire auction calendar is exhausted.

2023

Dated the 7th day of August,

JODY PHILLIPS Clerk of Circuit Court of Duval County, Florida

By: GK Griffin Deputy Clerk (Seal) Sep. 7/14/21/28 24 (23-05791D)

NOTICE OF APPLICATION FOR TAX DEED

NOTICE IS HEREBY GIVEN, that MIKON FINANICAL SERVICES INC A the holder of the following certificate has filed said certificate for a tax deed to be issued thereon. The certificate number and year of issuance, the description of the property, and the names in which it was assessed are as follows:

Certificate No: 04394

Year of Issuance: 2021

Description of Property: 5-19 39-1S-26E NORWOOD LOT 20 BLK 12 O/R BK 4320-8 Name in which assessed: AURELIUS DOYLE STAFFORD

Said property being in the County of Duval, State of Florida. Unless such certificate shall be redeemed according to law the property described in such certificate shall be sold to the highest bidder at www.Duval. RealTaxDeed.com, on the 11th day of October, 2023. The auction for this date will begin at 8:00 am and continue until the entire auction calendar is exhausted.

Dated the 7th day of August, 2023

JODY PHILLIPS Clerk of Circuit Court of Duval County, Florida

By: GK Griffin Deputy Clerk (Seal) Sep. 7/14/21/28 00 (23-05763D)

NOTICE OF APPLICATION FOR TAX DEED

NOTICE IS HEREBY GIVEN, that JPL INVESTMENTS CORP OCEAN BANKS AS CUST FOR JPL IN the holder of the following certificate has filed said certificate for a tax deed to be issued thereon. The certificate number and year of issuance, the description of the property, and the names in which it was assessed are as follows:

Certificate No: 05477

Year of Issuance: 2021

Description of Property: 31-93 43-1S-26E WASHINGTON HEIGHTS ESTATES LOT 4 BLK 34

Name in which assessed: RONALD K ANDREWS

Said property being in the County of Duval, State of Florida. Unless such certificate shall be redeemed according to law the property described in such certificate shall be sold to the highest bidder at www.Duval. RealTaxDeed.com, on the 11th day of October, 2023. The auction for this date will begin at 8:00 am and continue until the entire auction calendar is exhausted.

Dated the 7th day of August, 2023

JODY PHILLIPS Clerk of Circuit Court of Duval County, Florida

By: GK Griffin

Deputy Clerk (Seal) Sep. 7/14/21/28 00 (23-05797D)

NOTICE OF APPLICATION FOR TAX DEED

NOTICE IS HEREBY GIVEN, that MIKON FINANICAL SERVICES INC A the holder of the following certificate has filed said certificate for a tax deed to be issued thereon. The certificate number and year of issuance, the description of the property, and the names in which it was assessed are as follows: Certificate No: 08979

Year of Issuance: 2021

Description of Property:

2-4 37-2S-26E SPRINGFIELD LOT 11 BLK 3

Name in which assessed: SPRINGFIELD ACQUISITIONS, INC., SPRINGFIELD ACQUISITIONS, INC., SPRINGFIELD ACQUISITIONS, INC.

c/o MARY C. SORRELL, REGISTERED AGENT

Said property being in the County of Duval, State of Florida. Unless such certificate shall be redeemed according to law the property described in such certificate shall be sold to the highest bidder at www.Duval. RealTaxDeed.com, on the 11th day of October, 2023. The auction for this date will begin at 8:00 am and continue until the entire auction calendar is exhausted.

Dated the 7th day of August, 2023

JODY PHILLIPS Clerk of Circuit Court of Duval County, Florida By: GK

NOTICE OF APPLICATION FOR TAX DEED NOTICE IS HEREBY GIVEN, that MIKON FINANICAL SERVICES INC A the holder of the following certificate has filed said certificate for a tax deed to be issued thereon. The certificate number and year of issuance, the description of the property, and the names in which it was assessed are as follows:

Certificate No: 10566

Year of Issuance: 2021

Description of Property: 01-2S-26E BRENTWOOD LOT 4 BLOCK 27 O/R BK 4043-1149

Name in which assessed: AURELIUS DOYLE STAFFORD

Said property being in the County of Duval, State of Florida. Unless such certificate shall be redeemed according to law the property described in such certificate shall be sold to the highest bidder at www.Duval. RealTaxDeed.com, on the 11th day of October, 2023. The auction for this date will begin at 8:00 am and continue until the entire auction calendar is exhausted.

Dated the 7th day of August, 2023

JODY PHILLIPS Clerk of Circuit Court of Duval County, Florida

By: GK Griffin Deputy Clerk (Seal) Sep. 7/14/21/28 00 (23-05760D)

NOTICE OF APPLICATION FOR TAX DEED

NOTICE IS HEREBY GIVEN, that JPL INVESTMENTS CORP OCEAN BANKS AS CUST FOR JPL IN the holder of the following certificate has filed said certificate for a tax deed to be issued thereon. The certificate number and year of issuance, the description of the property, and the names in which it was assessed are as follows:

Certificate No: 05527

Year of Issuance: 2021

Description of Property: 34-14 39-1S-26E WASHINGTON HEIGHTS ESTATES UNIT 2

LOT 6 BLK 52

Name in which assessed: CLINTON ROGERS ESTATE

Said property being in the County of Duval, State of Florida. Unless such certificate shall be redeemed according to law the property described in such certificate shall be sold to the highest bidder at www.Duval. RealTaxDeed.com, on the 11th day of October, 2023. The auction for this date will begin at 8:00 am and continue until the entire auction calendar is exhausted.

Dated the 7th day of August, 2023

JODY PHILLIPS Clerk of Circuit Court of Duval County, Florida

By: GK Griffin Deputy Clerk (Seal) Sep. 7/14/21/28 00 (23-05792D)

NOTICE OF APPLICATION FOR TAX DEED

NOTICE IS HEREBY GIVEN, that MIKON FINANICAL SERVICES INC A the holder of the following certificate has filed said certificate for a tax deed to be issued thereon. The certificate number and year of issuance, the description of the property, and the names in which it was assessed are as follows:

Certificate No: 10066

Year of Issuance: 2021

Description of Property:

7-19 55-2S-26E ROYAL TERRACE LOT 12 BLK 6

Name in which assessed: WALTER H HICKSON, MICHELLE S GREENE, SYLVESTER GUYTON GREENE, MICHELLE S GREENE, SYLVESTER GUYTON GREENE

Said property being in the County of Duval, State of Florida. Unless such certificate shall be redeemed according to law the property described in such certificate shall be sold to the highest bidder at www.Duval. RealTaxDeed.com, on the 11th day of October, 2023. The auction for this date will begin at 8:00 am and continue until the entire auction calendar is exhausted.

Dated the 7th day of August, 2023

JODY PHILLIPS Clerk of Circuit Court of Duval County, Florida By: GK

NOTICE OF APPLICATION FOR TAX DEED

NOTICE IS HEREBY GIVEN, that MIKON FINANICAL SERVICES INC A the holder of the following certificate has filed said certificate for a tax deed to be issued thereon. The certificate number and year of issuance, the description of the property, and the names in which it was assessed are as follows:

Certificate No: 08015

Year of Issuance: 2021

Description of Property: 22-76 16-2S-26E .141 FURMAN S

ADDN TO ADAMDALE LOT 3

Name in which assessed:

JOHN GOODBREAD

Said property being in the County of Duval, State of Florida. Unless such certificate shall be redeemed according to law the property described in such certificate shall be sold to the highest bidder at www.Duval. RealTaxDeed.com, on the 11th day of October, 2023. The auction for this date will begin at 8:00 am and continue until the entire auction calendar is exhausted.

Dated the 7th day of August, 2023

JODY PHILLIPS Clerk of Circuit Court of Duval County, Florida

By: GK Griffin Deputy Clerk (Seal) Sep. 7/14/21/28 00 (23-05754D)

NOTICE OF APPLICATION FOR TAX DEED

NOTICE IS HEREBY GIVEN, that JPL INVESTMENTS CORP OCEAN BANKS AS CUST FOR JPL IN the holder of the following certificate has filed said certificate for a tax deed to be issued thereon. The certificate number and year of issuance, the description of the property, and the names in which it was assessed are as follows:

Certificate No: 15555

Year of Issuance: 2021

Description of Property: 13-4S-27E .17 PT NE1/4 OF NE1/4 RECD O/R 14173-2467

Name in which assessed: ROSA FORD, EZICKEL FORD DECD

Said property being in the County of Duval, State of Florida. Unless such certificate shall be redeemed according to law the property described in such certificate shall be sold to the highest bidder at www.Duval. RealTaxDeed.com, on the 11th day of October, 2023. The auction for this date will begin at 8:00 am and continue until the entire auction calendar is exhausted.

Dated the 7th day of August, 2023

JODY PHILLIPS Clerk of Circuit Court of Duval County, Florida

By: GK Griffin Deputy Clerk (Seal) Sep. 7/14/21/28 00 (23-05790D)

NOTICE OF APPLICATION FOR TAX DEED

NOTICE IS HEREBY GIVEN, that AGTC INVESTMENTS, LLC OCEAN BANK the holder of the following certificate has filed said certificate for a tax deed to be issued thereon. The certificate number and year of issuance, the description of the property, and the names in which it was assessed are as follows:

Certificate No: 10840

Year of Issuance: 2021

Description of Property:

4-6 56-2S-26E RIVERSIDE E1/2 LOT 9 BLK 97

Name in which assessed: LIVE LOVE BRIGADE, INC, LIVE LOVE BRIGADE, INC, LIVE LOVE BRIGADE, INC

c/o ALYSSA J KEY, REGISTERED AGENT, LIVE LOVE BRIGADE, INC

Said property being in the County of Duval, State of Florida. Unless such certificate shall be redeemed according to law the property described in such certificate shall be sold to the highest bidder at www.Duval. RealTaxDeed.com, on the 11th day of October, 2023. The auction for this date will begin at 8:00 am and continue until the entire auction calendar is exhausted.

Dated the 7th day of August, 2023

JODY PHILLIPS Clerk of Circuit Court of Duval County, Florida

By: GK Griffin Deputy Clerk (Seal) Sep. 7/14/21/28 00 (23-05746D)

NOTICE OF APPLICATION FOR TAX DEED

NOTICE IS HEREBY GIVEN, that MIKON FINANICAL SERVICES INC A the holder of the following certificate has filed said certificate for a tax deed to be issued thereon. The certificate number and year of issuance, the description of the property, and the names in which it was

assessed are as follows:

Certificate No: 12503

Year of Issuance: 2021

Description of Property: 2-21 07-2S-27E CAMPBELLS ADDN TO JAX LOT 9 BLK 9

Name in which assessed: SUSIE MAE FIELDS

Said property being in the County of Duval, State of Florida. Unless such certificate shall be redeemed according to law the property described in such certificate shall be sold to the highest bidder at www.Duval. RealTaxDeed.com, on the 11th day of October, 2023. The auction for this date will begin at 8:00 am and continue until the entire auction calendar is exhausted.

Dated the 7th day of August, 2023 JODY PHILLIPS Clerk of Circuit Court of Duval County, Florida

By: GK Griffin Deputy Clerk (Seal) Sep. 7/14/21/28 00 (23-05755D)

NOTICE OF APPLICATION FOR TAX DEED

NOTICE IS HEREBY GIVEN, that MIKON FINANICAL SERVICES INC A the holder of the following certificate has filed said certificate for a tax deed to be issued thereon. The certificate number and year of issuance, the description of the property, and the names in which it was assessed are as follows:

Certificate No: 08104

Year of Issuance: 2021

Description of Property: 21-71 17-2S-26E TATROS S/D PT BLK 11 WOODSTOCK PARK LOT 7 BLK 2

Name in which assessed: ADAM WACHOWIAK, ADAM WACHOWIAK

Said property being in the County of Duval, State of Florida. Unless such certificate shall be redeemed according to law the property described in such certificate shall be sold to the highest bidder at www.Duval. RealTaxDeed.com, on the 11th day of October, 2023. The auction for this date will begin at 8:00 am and continue until the entire auction calendar is exhausted.

Dated the 7th day of August, 2023 JODY PHILLIPS

Clerk of Circuit Court of Duval County, Florida

By: GK Griffin Deputy Clerk (Seal) Sep. 7/14/21/28 00 (23-05786D)

NOTICE OF APPLICATION FOR TAX DEED

NOTICE IS HEREBY GIVEN, that JAZEY PHILLIP DRECKSEL the holder of the following certificate has filed said certificate for a tax deed to be issued thereon. The certificate number and year of issuance, the description of the property, and the names in which it was assessed are as follows:

Certificate No: 01564

Year of Issuance: 2018

Description of Property:

5-93 32-2S-25E .39 JACKSONVILLE HEIGHTS PT TRACT 9 RECD O/R 9364-540

BEING PARCEL A BLK 2, LYING N OF O/R 9088-529,S OF O/R 9009-360 Name in which assessed: OLIN WOOTEN , THOMAS WOOTEN

Said property being in the County of Duval, State of Florida. Unless such certificate shall be redeemed according to law the property described in such certificate shall be sold to the highest bidder at www.Duval. RealTaxDeed.com, on the 11th day of October, 2023. The auction for this date will begin at 8:00 am and continue until the entire auction calendar is exhausted.

Dated the

day

NOTICE OF APPLICATION FOR TAX DEED

NOTICE IS HEREBY GIVEN, that MIKON FINANICAL SERVICES INC A the holder of the following certificate has filed said certificate for a tax deed to be issued thereon. The certificate number and year of issuance, the description of the property, and the names in which it was assessed are as follows:

Certificate No: 10348 Year of Issuance: 2021

Description of Property: 6-8 55-2S-26E MONCRIEF PARK LOTS 23,24 BLK 13 Name in which assessed: HARRY D WILLIAMS, JR. Said property being in the County of Duval, State of Florida. Unless such certificate shall be redeemed according to law the property described in such certificate shall be sold to the highest bidder at www.Duval. RealTaxDeed.com, on the 11th day of October, 2023. The auction for this date will begin at 8:00 am and continue until the entire auction calendar is exhausted.

Dated the 7th day of August, 2023 JODY PHILLIPS Clerk of Circuit Court of Duval County, Florida

By: GK Griffin Deputy Clerk (Seal) Sep. 7/14/21/28 24 (23-05749D)

NOTICE OF APPLICATION FOR TAX DEED

NOTICE IS HEREBY GIVEN, that MIKON FINANICAL SERVICES INC A the holder of the following certificate has filed said certificate for a tax deed to be issued thereon. The certificate number and year of issuance, the description of the property, and the names in which it was assessed are as follows:

Certificate No: 03320

Year of Issuance: 2021

Description of Property: 39-1S-26E PICKETTS S/D SIBBALD GRANT PT LOT 10 RECD O/R BK 2577-577

Name in which assessed: ALICE MAE JACKSON , ALICE MAE JACKSON ESTATE

Said property being in the County of Duval, State of Florida. Unless such certificate shall be redeemed according to law the property described in such certificate shall be sold to the highest bidder at www.Duval. RealTaxDeed.com, on the 11th day of October, 2023. The auction for this date will begin at 8:00 am and continue until the entire auction calendar is exhausted.

Dated the 7th day of August, 2023 JODY PHILLIPS Clerk of Circuit Court of Duval County, Florida

By: GK Griffin Deputy Clerk (Seal) Sep. 7/14/21/28 00 (23-05783D)

NOTICE OF APPLICATION FOR TAX DEED

NOTICE IS HEREBY GIVEN, that MARK CURTISS the holder of the following certificate has filed said certificate for a tax deed to be issued thereon. The certificate number and year of issuance, the description of the property, and the names in which it was assessed are as follows:

Certificate No: 19805 Year of Issuance: 2019

Description of Property: 33-2S-28E SANS PAREIL S/D PT LOT 38 BLK 25 Name in which assessed: GRACE FELLOWSHIP, INC., GRACE FELLOWSHIP OF JACKSONVILLE, INC. c/o GEORGE D DAVIS, REGISTERED AGENT, GRACE FELLOWSHIP OF JACKSONVILLE, INC. Said property being in the County of Duval, State of Florida. Unless such certificate shall be redeemed according to law the property described in such certificate shall be sold to the highest bidder at www.Duval. RealTaxDeed.com, on the 11th day of October, 2023. The auction for this date will begin at 8:00 am and continue until the entire auction calendar is exhausted.

Dated the 7th day of August, 2023 JODY PHILLIPS Clerk of Circuit Court of Duval County, Florida

By: GK Griffin Deputy Clerk (Seal) Sep. 7/14/21/28 24 (23-05739D)

12C THURSDAY, SEPTEMBER 14, 2023 JACKSONVILLE DAILY RECORD
DUVAL
SUBSEQUENT
SECOND INSERTION SECOND INSERTION SECOND INSERTION SECOND INSERTION SECOND INSERTION SECOND INSERTION SECOND INSERTION SECOND INSERTION SECOND INSERTION SECOND INSERTION SECOND INSERTION SECOND INSERTION SECOND INSERTION SECOND INSERTION SECOND INSERTION SECOND INSERTION SECOND INSERTION SECOND INSERTION
PUBLIC NOTICES
COUNTY •
INSERTIONS
By: GK Griffin Deputy Clerk (Seal) Sep. 7/14/21/28 00 (23-05741D)
7th
of August, 2023 JODY PHILLIPS Clerk of Circuit Court of Duval County, Florida
(Seal) Sep. 7/14/21/28 00 (23-05752D)
Griffin Deputy Clerk
Sep. 7/14/21/28
Griffin Deputy Clerk (Seal)
00 (23-05757D)

PUBLIC NOTICES

NOTICE OF APPLICATION FOR TAX DEED NOTICE IS HEREBY GIVEN, that IZIA ROKOSZ the holder of the following certificate has filed said certificate for a tax deed to be issued thereon. The certificate number and year of issuance, the description of the property, and the names in which it was assessed are as follows:

Certificate No: 08187

Year of Issuance: 2016

Description of Property:

02-2S-26E SAWYERS ADDN TO JAX LOT 45

Name in which assessed:

CHARLIE SMITH c/o R KNIGHT, ESTATE OF CALLIE WILHEMINA KNIGHT, DECEASED

Said property being in the County of Duval, State of Florida. Unless such certificate shall be redeemed according to law the property described in such certificate shall be sold to the highest bidder at www.Duval. RealTaxDeed.com, on the 11th day of October, 2023. The auction for this date will begin at 8:00 am and continue until the entire auction calendar is exhausted.

Dated the 7th day of August, 2023 JODY PHILLIPS Clerk of Circuit Court of Duval County, Florida By: GK Griffin Deputy Clerk (Seal) Sep. 7/14/21/28 17 (23-05896D)

NOTICE OF APPLICATION FOR TAX DEED

NOTICE IS HEREBY GIVEN, that CITY OF JACKSONVILLE the holder of the following certificate has filed said certificate for a tax deed to be issued thereon. The certificate number and year of issuance, the description of the property, and the names in which it was assessed are as follows:

Certificate No: 30151

Year of Issuance: 2018

Description of Property:

5-15 39-1S-26E PEARL CREST LOT 11 BLK 1

Name in which assessed:

DREAM REAL SERVICES INC, DREAM REAL SERVICES INC

c/o NAOMI TOOKES, REGISTERED AGENT , DREAM REAL SERVICES INC

Said property being in the County of Duval, State of Florida. Unless such certificate shall be redeemed according to law the property described in such certificate shall be sold to the highest bidder at www.Duval. RealTaxDeed.com, on the 11th day of October, 2023. The auction for this date will begin at 8:00 am and continue until the entire auction calendar is exhausted.

Dated the 7th day of August, 2023 JODY PHILLIPS Clerk of Circuit Court of Duval County, Florida

By: GK Griffin Deputy Clerk (Seal) Sep. 7/14/21/28 00 (23-05880D)

NOTICE OF APPLICATION FOR TAX DEED NOTICE IS HEREBY GIVEN, that MUNICIPAL POINT CAPITAL LP the holder of the following certificate has filed said certificate for a tax deed to be issued thereon. The certificate number and year of issuance, the description of the property, and the names in which it was assessed are as follows:

Certificate No: 14300

Year of Issuance: 2021

Description of Property: 23-64 49-2S-27E ARLINGTON

MANOR UNIT 2 LOT 10 BLK 1

Name in which assessed:

DAVID A WILLIS III, TRUSTEE OF THE DAVID A WILLIS III

LIVING TRUST , DAVID A WIL-

LIS III LIVING TRUST , DAVID A WILLIS III, DAVID A WILLIS III LIVING TRUST, DAVID A WILLIS III

Said property being in the County of Duval, State of Florida. Unless such certificate shall be redeemed according to law the property described in such certificate shall be sold to the highest bidder at www.Duval. RealTaxDeed.com, on the 11th day of October, 2023. The auction for this date will begin at 8:00 am and continue until the entire auction calendar is exhausted.

Dated the 7th day of August,

2023 JODY PHILLIPS Clerk of Circuit Court of Duval County, Florida

By: GK Griffin Deputy Clerk (Seal) Sep. 7/14/21/28 17 (23-05838D)

NOTICE OF APPLICATION FOR TAX DEED NOTICE IS HEREBY GIVEN, that IZIA ROKOSZ the holder of the following certificate has filed said certificate for a tax deed to be issued thereon. The certificate number and year of issuance, the description of the property, and the names in which it was assessed are as follows:

Certificate No: 10072

of Issuance: 2016

Said property being in the County of Duval, State of Florida. Unless such certificate shall be redeemed according to law the property described in such certificate shall be sold to the highest bidder at www.Duval. RealTaxDeed.com, on the 11th day of October, 2023. The auction for this date will begin at 8:00 am and continue until the entire auction calendar is exhausted.

Dated the 7th day of August, 2023 JODY PHILLIPS Clerk of Circuit Court of Duval County, Florida By: GK Griffin Deputy Clerk (Seal) Sep. 7/14/21/28 00 (23-05897D)

NOTICE OF APPLICATION FOR TAX DEED

NOTICE IS HEREBY GIVEN, that IZIA ROKOSZ the holder of the following certificate has filed said certificate for a tax deed to be issued thereon. The certificate number and year of issuance, the description of the property, and the names in which it was assessed are as follows:

Certificate No: 10213 Year of Issuance: 2016

Description of Property: 3-6 56-2S-26E .04

Said property being in the County of Duval, State of Florida. Unless such certificate shall be redeemed according to law the property described in such certificate shall be sold to the highest bidder at www.Duval. RealTaxDeed.com, on the 11th day of October, 2023. The auction for this date will begin at 8:00 am and continue until the entire auction calendar is exhausted.

Dated the 7th day of August, 2023 JODY PHILLIPS Clerk of Circuit Court of Duval County, Florida

By: GK Griffin Deputy Clerk (Seal) Sep. 7/14/21/28 00 (23-05886D)

NOTICE OF APPLICATION FOR TAX DEED NOTICE IS HEREBY GIVEN, that FLORIDA TAX LIEN LLC AND OCEAN BANK the holder of the following certificate has filed said certificate for a tax deed to be issued thereon. The certificate number and year of issuance, the description of the property, and the names in which it was assessed are as follows: Certificate No: 06485 Year of Issuance: 2021 Description of Property: 2-51 09-2S-26E EAST GRAND PARK LOT 1 BLK 48

Name in which assessed: OMAR ANDRES SANCHEZ BUITRAGO, OMAR ANDRES SANCHEZ BUITRAGO, JUAN VLADIMIR VANEGAS LOPEZ , OMAR ANDRES SANCHEZ BUITRAGO, JUAN VLADIMIR VANEGAS LOPEZ Said property being in the County of Duval, State of Florida. Unless such certificate shall be redeemed according to law the property described in such certificate shall be sold to the highest bidder at www.Duval. RealTaxDeed.com, on the 11th day of October, 2023. The auction for this date will begin at 8:00 am and continue until the entire auction calendar is exhausted.

Dated the 7th day of August, 2023 JODY PHILLIPS

NOTICE OF APPLICATION FOR TAX DEED NOTICE IS HEREBY GIVEN, that IZIA ROKOSZ the holder of the following certificate has filed said certificate for a tax deed to be issued thereon. The certificate number and year of issuance, the description of the property, and the names in which it was assessed are as follows:

Certificate No: 08185

Year of Issuance: 2016

Description of Property:

4-36 02-2S-26E SAWYERS ADDN TO JAX LOT 42

Name in which assessed: FLORIDA LAND TRUST NO. 2331 JANETTE COMMUNITY BUILDING & RESTORATION INC. AS TRUSTEE

Said property being in the County of Duval, State of Florida. Unless such certificate shall be redeemed according to law the property described in such certificate shall be sold to the highest bidder at www.Duval. RealTaxDeed.com, on the 11th day of October, 2023. The auction for this date will begin at 8:00 am and continue until the entire auction calendar is exhausted.

Dated the 7th day of August, 2023

JODY PHILLIPS Clerk of Circuit Court of Duval County, Florida

By: GK Griffin Deputy Clerk (Seal) Sep. 7/14/21/28 00 (23-05904D)

NOTICE OF APPLICATION FOR TAX DEED

NOTICE IS HEREBY GIVEN, that IZIA ROKOSZ the holder of the following certificate has filed said certificate for a tax deed to be issued thereon. The certificate number and year of issuance, the description of the property, and the names in which it was assessed are as follows:

Certificate No: 07292

Year of Issuance: 2016

Description of Property: 13-85 43-1S-26E .505 PLAT OF ESTATE OF HENRY F MASTERS PT TRACT 3 RECD O/R 8034-2078

Name in which assessed: JOSEPH E WILLIAMS, HELEN ALLEN WILLIAMS, PAUL ELLIS WILLIAMS

Said property being in the County of Duval, State of Florida. Unless such certificate shall be redeemed according to law the property described in such certificate shall be sold to the highest bidder at www.Duval. RealTaxDeed.com, on the 11th day of October, 2023. The auction for this date will begin at 8:00 am and continue until the entire auction calendar is exhausted.

Dated the 7th day of August, 2023 JODY PHILLIPS Clerk of Circuit Court of Duval County, Florida

By: GK Griffin Deputy Clerk (Seal) Sep. 7/14/21/28 00 (23-05890D)

NOTICE OF APPLICATION FOR TAX DEED NOTICE IS HEREBY GIVEN, that RB TAX INVESTMENTS LLC the holder of the following certificate has filed said certificate for a tax deed to be issued thereon. The certificate number and year of issuance, the description of the property, and the names in which it was assessed are as follows:

Certificate No: 12978

Year of Issuance: 2021

Description of Property: 16-2S-27E .678 PT RECD O/R 19406-434

Name in which assessed: FUTURISTIC INVESTMENTS, INC., FUTURISTIC INVESTMENTS, INC., FUTURISTIC INVESTMENTS, INC. c/o SYLVIA JACOBS, REGISTERED AGENT , FUTURISTIC INVESTMENTS, INC.

Said property being in the County of Duval, State of Florida. Unless such certificate shall be redeemed according to law the property described in such certificate shall be sold to the highest bidder at www.Duval. RealTaxDeed.com, on the 11th day of October, 2023. The auction for this date will begin at 8:00 am and continue until the entire auction calendar is exhausted.

Dated the 7th day of August, 2023

JODY PHILLIPS Clerk of Circuit Court of Duval County, Florida

By: GK Griffin Deputy Clerk (Seal) Sep. 7/14/21/28 00 (23-05871D)

NOTICE OF APPLICATION FOR TAX DEED

NOTICE IS HEREBY GIVEN, that IZIA ROKOSZ the holder of the following certificate has filed said certificate for a tax deed to be issued thereon. The certificate number and year of issuance, the description of the property, and the names in which it was assessed are as follows:

Certificate No: 10044

Year of Issuance: 2016

Description of Property: 4-64 11-2S-26E SUPPLEMENT TO BURBRIDGES ADDN TO JACKSONVILLE S1/2 LOT 3 BLK 13 Name in which assessed: WINIFRED DAYMON MCBRIDE

Said property being in the County of Duval, State of Florida. Unless such certificate shall be redeemed according to law the property described in such certificate shall be sold to the highest bidder at www.Duval. RealTaxDeed.com, on the 11th day of October, 2023. The auction for this date will begin at 8:00 am and continue until the entire auction calendar is exhausted.

Dated the 7th day of August, 2023 JODY PHILLIPS Clerk of Circuit Court of Duval County, Florida By: GK Griffin Deputy Clerk (Seal) Sep. 7/14/21/28 00 (23-05908D)

NOTICE OF APPLICATION FOR TAX DEED

NOTICE IS HEREBY GIVEN, that IZIA ROKOSZ the holder of the following certificate has filed said certificate for a tax deed to be issued thereon. The certificate number and year of issuance, the description of the property, and the names in which it was assessed are as follows:

Certificate No: 12590

Year of Issuance: 2016

Description of Property: 1-59 10-2S-26E MCCLELLAN CUNNINGHAM & STOCKTON S/D LOT 1 BLK 3

Name in which assessed: URBAN CORE ENTERPRISES INC, URBAN CORE ENTERPRISES INC c/o LOUISE VILENO, REGISTERED AGENT

Said property being in the County of Duval, State of Florida. Unless such certificate shall be redeemed according to law the property described in such certificate shall be sold to the highest bidder at www.Duval. RealTaxDeed.com, on the 11th day of October, 2023. The auction for this date will begin at 8:00 am and continue until the entire auction calendar is exhausted.

Dated the 7th day of August, 2023 JODY PHILLIPS Clerk of Circuit Court of Duval County, Florida

By: GK Griffin Deputy Clerk (Seal) Sep. 7/14/21/28 00 (23-05891D)

NOTICE OF APPLICATION FOR TAX DEED

NOTICE IS HEREBY GIVEN, that IZIA ROKOSZ the holder of the following certificate has filed said certificate for a tax deed to be issued thereon. The certificate number and year of issuance, the description of the property, and the names in which it was assessed are as follows:

Certificate No: 06994

Year of Issuance: 2020

Description of Property: 31-93 43-1S-26E WASHINGTON HEIGHTS ESTATES LOT 1 BLOCK 43 (THERE ARE OR MAY BE HAZARDOUS SUBSTANCES ON THE PROPERTY FOR MORE INFORMATION PLEASE CALL 904-630-CITY)

Name in which assessed: VEADAR LLC , VEADAR, LLC, VEADAR, LLC c/o QUALITY HOLDING OF AMERICA, INC., REGISTERED AGENT Said property being in the County of Duval, State of Florida. Unless such certificate shall be redeemed according to law the property described in such certificate shall be sold to the highest bidder at www.Duval. RealTaxDeed.com, on the 11th day of October, 2023.

The auction for this date will begin at 8:00 am and continue until the entire auction calendar is exhausted.

Dated the 7th day of August, 2023 JODY PHILLIPS Clerk of Circuit Court of Duval County, Florida By: GK Griffin Deputy Clerk (Seal) Sep. 7/14/21/28 00 (23-05925D)

NOTICE OF APPLICATION FOR TAX DEED

NOTICE IS HEREBY GIVEN, that IZIA ROKOSZ the holder of the following certificate has filed said certificate for a tax deed to be issued thereon. The certificate number and year of issuance, the description of the property, and the names in which it was assessed are as follows:

Certificate No: 09237

Year of Issuance: 2016

Description of Property: 4-1 10-2S-26E .053 COLLEGE PARK PT LOTS 1,2 RECD O/R 15930-677 BLK 7

Name in which assessed:

MICHAEL A BAILEY, FREDDIE BAILEY A/K/A FREDDIE L BAILEY

Said property being in the County of Duval, State of Florida. Unless such certificate shall be redeemed according to law the property described in such certificate shall be sold to the highest bidder at www.Duval. RealTaxDeed.com, on the 11th day of October, 2023. The auction for this date will begin at 8:00 am and continue until the entire auction calendar is exhausted.

Dated the 7th day of August, 2023 JODY PHILLIPS Clerk of Circuit Court of Duval County, Florida By: GK Griffin Deputy Clerk (Seal) Sep. 7/14/21/28 00 (23-05909D)

NOTICE OF APPLICATION FOR TAX DEED

NOTICE IS HEREBY GIVEN, that IZIA ROKOSZ the holder of the following certificate has filed said certificate for a tax deed to be issued thereon. The certificate number and year of issuance, the description of the property, and the names in which it was assessed are as follows:

Certificate No: 07174

Year of Issuance: 2016

Description of Property: 31-93 43-1S-26E WASHINGTON HEIGHTS ESTATES LOT 1 BLK 4

Name in which assessed: YAD ASSETS LLC, YAD ASSETS LLC, YAD ASSETS LLC c/o DAN HELLER , REGISTERED AGENT

Said property being in the County of Duval, State of Florida. Unless such certificate shall be redeemed according to law the property described in such certificate shall be sold to the highest bidder at www.Duval. RealTaxDeed.com, on the 11th day of October, 2023. The auction for this date will begin at 8:00 am and continue until the entire auction calendar is exhausted.

Dated the 7th day of August, 2023

JODY PHILLIPS

Clerk of Circuit Court of Duval County, Florida

By: GK Griffin Deputy Clerk (Seal) Sep. 7/14/21/28 00 (23-05902D)

NOTICE OF APPLICATION FOR TAX DEED

NOTICE IS HEREBY GIVEN, that IZIA ROKOSZ the holder of the following certificate has filed said certificate for a tax deed to be issued thereon. The certificate number and year of issuance, the description of the property, and the names in which it was assessed are as follows:

Certificate No: 09617 Year of Issuance: 2016

Description of Property: 11-18 10-2S-26E .08 SAFERS R/P OF BARRS & LOVELLS S/D LOT 7

Name in which assessed: VKA DEVELOPMENT LLC c/o DARE II DREAM MGMT INC, VKA DEVELOPMENT LLC, MALAHI DEVELOPMENT LLC

F/K/A VKA DEVELOPMENT LLC, MALAHI DEVELOPMENT LLC F/K/A VKA DEVELOPMENT LLC c/o DUKE BROWN, REGISTERED AGENT Said property being in the County of Duval, State of Florida. Unless such certificate shall be redeemed according to law the property described in such certificate shall be sold to the highest bidder at www.Duval. RealTaxDeed.com, on the 11th day of October, 2023. The auction for this date will begin at 8:00 am and continue until the entire auction calendar is exhausted.

Dated the 7th day of August, 2023 JODY PHILLIPS Clerk of Circuit Court of Duval County, Florida By: GK Griffin Deputy Clerk (Seal) Sep. 7/14/21/28 00 (23-05889D)

NOTICE OF APPLICATION FOR TAX DEED

NOTICE IS HEREBY GIVEN, that IZIA ROKOSZ the holder of the following certificate has filed said certificate for a tax deed to be issued thereon. The certificate number and year of issuance, the description of the property, and the names in which it was assessed are as follows:

Certificate No: 08167

Year of Issuance: 2018

Description of Property: 2-59 04-2S-26E GRAND PARK LOT 14 BLK 68

Name in which assessed: DAWKINS PROPERTIES, LLC , DAWKINS PROPERTIES, LLC c/o D. CLINTON DAWKINS, III, REGISTERED AGENT Said property being in the County of Duval, State of Florida. Unless such certificate shall be redeemed according to law the property described in such certificate shall be sold to the highest bidder at www.Duval. RealTaxDeed.com, on the 11th day of October, 2023. The auction for this date will begin at 8:00 am and continue until the entire auction calendar is exhausted.

Dated the 7th day of August, 2023 JODY PHILLIPS Clerk of Circuit Court of Duval County, Florida By: GK Griffin Deputy Clerk (Seal) Sep. 7/14/21/28 17 (23-05918D)

NOTICE OF APPLICATION FOR TAX DEED

NOTICE IS HEREBY GIVEN, that IZIA ROKOSZ the holder of the following certificate has filed said certificate for a tax deed to be issued thereon. The certificate number and year of issuance, the description of the property, and the names in which it was assessed are as follows:

Certificate No: 08173

Year of Issuance: 2016

Description of Property: 4-36 02-2S-26E SAWYERS ADDN TO JAX W 60FT LOT 4

Name in which assessed:

GOOD HOMES OF NE FL INC , GOOD HOMES OF NE FL INC, GOOD HOMES OF NE FL INC c/o NATHAN ALEXANDER, REG. AGENT

Said property being in the County of Duval, State of Florida. Unless such certificate shall be redeemed according to law the property described in such certificate shall be sold to the highest bidder at www.Duval. RealTaxDeed.com, on the 11th day of October, 2023. The auction for this date will begin at 8:00 am and continue until the entire auction calendar is exhausted.

Dated the 7th day of August, 2023 JODY PHILLIPS Clerk of Circuit Court of Duval County, Florida

By: GK Griffin Deputy Clerk (Seal) Sep. 7/14/21/28 00 (23-05903D)

NOTICE OF APPLICATION FOR TAX DEED

NOTICE IS HEREBY GIVEN, that MIKON FINANICAL SERVICES INC A the holder of the following certificate has filed said certificate for a tax deed to be issued thereon. The certificate number and year of issuance, the description of the property, and the names in which it was assessed are as follows:

Certificate No: 09219

Year of Issuance: 2021

Description of Property: Y-428 38-2S-26E 2.018 KNIGHTS MAP OF JACKSONVILLE PT WATER LOTS 14K,15K,16K RECD O/R 19856-1499

Name in which assessed: PB RIVERFRONT REVITALIZATION OF JACKSONVILLE, LLC, PB RIVERFRONT REVITALIZATION OF JACKSONVILLE, LLC c/o WAYNE E FLOWERS ESQ, REGISTERED AGENT Said property being in the County of Duval, State of Florida. Unless such certificate shall be redeemed according to law the property described in such certificate shall be sold to the highest bidder at www.Duval. RealTaxDeed.com, on the

THURSDAY, SEPTEMBER 14, 2023 13C JACKSONVILLE DAILY RECORD
DUVAL COUNTY • SUBSEQUENT INSERTIONS SECOND INSERTION SECOND INSERTION SECOND INSERTION SECOND INSERTION SECOND INSERTION SECOND INSERTION SECOND INSERTION SECOND INSERTION SECOND INSERTION SECOND INSERTION SECOND INSERTION SECOND INSERTION SECOND INSERTION SECOND INSERTION SECOND INSERTION SECOND INSERTION SECOND INSERTION SECOND INSERTION
2023.
8:00
Dated the 7th day of August, 2023 JODY PHILLIPS Clerk of Circuit Court of Duval County, Florida By: GK Griffin Deputy Clerk (Seal) Sep. 7/14/21/28 17 (23-05846D)
11th day of October,
The auction for this date will begin at
am and continue until the entire auction calendar is exhausted.
Court
Duval
GK Griffin Deputy Clerk (Seal) Sep. 7/14/21/28 00 (23-05858D)
Clerk of Circuit
of
County, Florida By:
WOODHAVEN PARK W 31.13 OF E 64.13FT LOT 12, W 31.13FT OF E 64.13FT OF N 24.43 LOT 11 BLK 4 Name in which assessed: TRAMAINE
TREMAINE
WRIGHT AKA
WRIGHT
Year
Description
11-2S-26E STEWARTS ADDN TO JAX S 14FT LOT 4,N 12FT LOT 5 BLK 9 O/R BK 5776-400 Name in which assessed: JOSEPH
of Property: 1-78
SIMMONS, JOSEPH SIMMONS

PUBLIC NOTICES

NOTICE OF APPLICATION FOR TAX DEED NOTICE IS HEREBY GIVEN, that IZIA ROKOSZ the holder of the following certificate has filed said certificate for a tax deed to be issued thereon. The certificate number and year of issuance, the description of the property, and the names in which it was assessed are as follows:

Certificate No: 01384

Year of Issuance: 2021

Description of Property: 10-33 13-2S-25E PASADENA VIEW TRACT DESIGNATED AS AUGUSTA PARK

Name in which assessed: STANLEY D. YBANEZ

Said property being in the County of Duval, State of Florida. Unless such certificate shall be redeemed according to law the property described in such certificate shall be sold to the highest bidder at www.Duval. RealTaxDeed.com, on the 11th day of October, 2023. The auction for this date will begin at 8:00 am and continue until the entire auction calendar is exhausted.

Dated the 7th day of August, 2023 JODY PHILLIPS Clerk of Circuit Court of Duval County, Florida

By: GK Griffin Deputy Clerk (Seal) Sep. 7/14/21/28 16 (23-05916D)

NOTICE OF APPLICATION FOR TAX DEED

NOTICE IS HEREBY GIVEN, that IZIA ROKOSZ the holder of the following certificate has filed said certificate for a tax deed to be issued thereon. The certificate number and year of issuance, the description of the property, and the names in which it was assessed are as follows:

Certificate No: 20806

Year of Issuance: 2016

Description of Property:

42-4S-27E .26 F HARTLEY

GRANT PT RECD D BK 1278455 LYING N OF O/R 5907-1466,E OF O/RS 93001485, 1489

Name in which assessed: ESTATE OF EDWINA B SHUTTERLY DECEASED, CARA ANNE FLANAGAN

Said property being in the County of Duval, State of Florida. Unless such certificate shall be redeemed according to law the property described in such certificate shall be sold to the highest bidder at www.Duval. RealTaxDeed.com, on the 11th day of October, 2023. The auction for this date will begin at 8:00 am and continue until the entire auction calendar is exhausted.

Dated the 7th day of August, 2023 JODY PHILLIPS Clerk of Circuit Court of Duval County, Florida

By: GK Griffin Deputy Clerk (Seal) Sep. 7/14/21/28 00 (23-05938D)

NOTICE OF APPLICATION FOR TAX DEED NOTICE IS HEREBY GIVEN, that FLORIDA TAX LIEN LLC AND OCEAN BANK the holder of the following certificate has filed said certificate for a tax deed to be issued thereon. The certificate number and year of issuance, the description of the property, and the names in which it was assessed are as follows:

Certificate No: 04050

Year of Issuance: 2021

Description of Property: 9-17 39-1S-26E RIVERHILLS PARK LOTS 19,20 BLK 8

Name in which assessed:

HORIZON TRUST COMPANY, CUSTODIAN, FBO: DOUGLAS CARLSON TRADITIONAL IRA , HORIZON TRUST COMPANY, CUSTODIAN, FBO; DOUGLAS

CARLSON TRADITIONAL IRA

Said property being in the County of Duval, State of Florida. Unless such certificate shall be redeemed according to law the property described in such certificate shall be sold to the highest bidder at www.Duval. RealTaxDeed.com, on the 11th day of October, 2023. The auction for this date will begin at 8:00 am and continue until the entire auction calendar is exhausted.

Dated the 7th day of August,

2023 JODY PHILLIPS Clerk of Circuit Court of

NOTICE OF APPLICATION FOR TAX DEED

NOTICE IS HEREBY GIVEN, that IZIA ROKOSZ the holder of the following certificate has filed said certificate for a tax deed to be issued thereon. The certificate number and year of issuance, the description of the property, and the names in which it was assessed are as follows:

NOTICE OF APPLICATION FOR TAX DEED

NOTICE IS HEREBY GIVEN, that IZIA ROKOSZ the holder of the following certificate has filed said certificate for a tax deed to be issued thereon. The certificate number and year of issuance, the description of the property, and the names in which it was assessed are as follows:

Certificate No: 05282

Year of Issuance: 2020

Description of Property: 39-1S-26E SIBBALD GRANT PT RECD O/R 10196-1457

Name in which assessed: ELIJAH J DAVIS , WAUGHWEEN W DAVIS

NOTICE OF APPLICATION FOR TAX DEED

NOTICE IS HEREBY GIVEN, that IZIA ROKOSZ the holder of the following certificate has filed said certificate for a tax deed to be issued thereon. The certificate number and year of issuance, the description of the property, and the names in which it was assessed are as follows:

Certificate No: 07827

Year of Issuance: 2020

Description of Property: 4-36 04-2S-26E .07 SAWYERS ADDITION TO JACKSONVILLE LOT 37 Name in which assessed: FTA TRUST

NOTICE OF APPLICATION FOR TAX DEED NOTICE IS HEREBY GIVEN, that IZIA ROKOSZ the holder of the following certificate has filed said certificate for a tax deed to be issued thereon. The certificate number and year of issuance, the description of the property, and the names in which it was assessed are as follows:

Certificate No: 04574

Year of Issuance: 2017

Description of Property: 4-14 39-1S-26E .11 SILVER PARK NE 47 1/2FT LOT 6 BLK 31

Name in which assessed: LARRY J HARDEN , BRENDALIN HARDEN

NOTICE OF APPLICATION FOR TAX DEED

NOTICE IS HEREBY GIVEN, that IZIA ROKOSZ the holder of the following certificate has filed said certificate for a tax deed to be issued thereon. The certificate number and year of issuance, the description of the property, and the names in which it was assessed are as follows:

Said property being in the County of Duval, State of Florida. Unless such certificate shall be redeemed according to law the property described in such certificate shall be sold to the highest bidder at www.Duval. RealTaxDeed.com, on the 11th day of October, 2023. The auction for this date will begin at 8:00 am and continue until the entire auction calendar is exhausted.

Dated the 7th day of August, 2023

JODY PHILLIPS Clerk of Circuit Court of Duval County, Florida

By: GK Griffin Deputy Clerk (Seal) Sep. 7/14/21/28 00 (23-05919D)

NOTICE OF APPLICATION FOR TAX DEED NOTICE IS HEREBY GIVEN, that IZIA ROKOSZ the holder of the following certificate has filed said certificate for a tax deed to be issued thereon. The certificate number and year of issuance, the description of the property, and the names in which it was assessed are as follows:

Certificate No: 13853

Year of Issuance: 2021

Description of Property: 01-2S-26E .044 LONG BRANCH PT LOT 4 RECD O/R 5597-396 BLK J Name in which assessed: J & A MATERIAL SERVICES INC, J & A MATERIAL SERVICES INC, J & A MATERIAL SERVICES INC c/o JOHN E LEE, REGISTERED AGENT Said property being in the County of Duval, State of Florida. Unless such certificate shall be redeemed according to law the property described in such certificate shall be sold to the highest bidder at www.Duval. RealTaxDeed.com, on the 11th day of October, 2023. The auction for this date will begin at 8:00 am and continue until the entire auction calendar is exhausted.

Dated the 7th day of August, 2023

JODY PHILLIPS Clerk of Circuit Court of Duval County, Florida

By: GK Griffin Deputy Clerk (Seal) Sep. 7/14/21/28 00 (23-05941D)

OF APPLICATION FOR TAX DEED NOTICE IS HEREBY GIVEN, that SAVVY FL LLC FIRST HORIZON COLLATERAL ASSIG the holder of the following certificate has filed said certificate for a tax deed to be issued thereon. The certificate number and year of issuance, the description of the property, and the names in which it was assessed are as

Said property being in the County of Duval, State of Florida. Unless such certificate shall be redeemed according to law the property described in such certificate shall be sold to the highest bidder at www.Duval. RealTaxDeed.com, on the 11th day of October, 2023. The auction for this date will begin at 8:00 am and continue until the entire auction calendar is exhausted.

Dated the 7th day of August, 2023

JODY PHILLIPS Clerk of Circuit Court of Duval County, Florida

By: GK Griffin Deputy Clerk (Seal) Sep. 7/14/21/28 00 (23-05920D)

NOTICE OF APPLICATION FOR TAX DEED NOTICE IS HEREBY GIVEN, that IZIA ROKOSZ the holder of the following certificate has filed said certificate for a tax deed to be issued thereon. The certificate number and year of issuance, the description of the property, and the names in which it was assessed are as follows:

Certificate No: 13550

Year of Issuance: 2021

Description of Property: AQ-478 44-2S-27E .012 PHILLIPS S/D PT CRAIG GRANT PT LOT 8 RECD O/R 8661-2037

Name in which assessed:

JOHN F SHARKEY JR DBA SHARKEY CRAMER PARTNERSHIP, JOHN F SHARKEY III DBA SHARKEY CRAMER PARTNERSHIP

Said property being in the County of Duval, State of Florida. Unless such certificate shall be redeemed according to law the property described in such certificate shall be sold to the highest bidder at www.Duval. RealTaxDeed.com, on the 11th day of October, 2023. The auction for this date will begin at 8:00 am and continue until the entire auction calendar is exhausted.

Dated the 7th day of August, 2023 JODY PHILLIPS Clerk of Circuit Court of Duval County, Florida

By: GK Griffin Deputy Clerk (Seal) Sep. 7/14/21/28 00 (23-05945D)

NOTICE OF APPLICATION FOR TAX DEED NOTICE IS HEREBY GIVEN, that FLORIDA TAX LIEN LLC AND OCEAN BANK the holder of the following certificate has filed said certificate for a tax deed to be issued thereon. The certificate number and year of issuance, the description of the property, and the names in which it was assessed are as follows:

Certificate No: 05953

Year of Issuance: 2021

Description of Property: 35-39 50-1S-26E .39 R/P OF PT OF TURTLE CREEK VILLAGE UNIT ONE LOT 31 BLK 6

Name in which assessed: EDGAR VERDAN POTTER

Said property being in the County of Duval, State of Florida. Unless such certificate shall be redeemed according to law the property described in such certificate shall be sold to the highest bidder at www.Duval. RealTaxDeed.com, on the 11th day of October, 2023. The auction for this date will begin at 8:00 am and continue until the entire auction calendar is exhausted.

Dated the 7th day of August, 2023

JODY PHILLIPS Clerk of Circuit Court of Duval County, Florida

By: GK Griffin Deputy Clerk (Seal) Sep. 7/14/21/28 00 (23-05931D)

NOTICE OF APPLICATION FOR TAX DEED

NOTICE IS HEREBY GIVEN, that IZIA ROKOSZ the holder of the following certificate has filed said certificate for a tax deed to be issued thereon. The certificate number and year of issuance, the description of the property, and the names in which it was assessed are as follows:

Certificate No: 06701

Year of Issuance: 2019

Description of Property: 31-93 43-1S-26E WASHINGTON HEIGHTS ESTATES LOT 7 BLK 24

Name in which assessed: BETHSAIDA TEMPLE MINISTRIES, INC , BETHSAIDA TEMPLE MINISTRIES, INC, BETHSAIDA TEMPLE MINISTRIES, INC c/o WAYNE L WILSON, SR., REGISTERED AGENT Said property being in the County of Duval, State of Florida. Unless such certificate shall be redeemed according to law the property described in such certificate shall be sold to the highest bidder at www.Duval. RealTaxDeed.com, on the 11th day of October, 2023. The auction for this date will begin at 8:00 am and continue until the entire auction calendar is exhausted. Dated the 7th day of August, 2023

JODY PHILLIPS Clerk of Circuit Court of Duval County, Florida

By: GK Griffin Deputy Clerk (Seal) Sep. 7/14/21/28 00 (23-05928D)

NOTICE OF APPLICATION FOR TAX DEED

NOTICE IS HEREBY GIVEN, that SAVVY FL LLC FIRST HORIZON COLLATERAL ASSIG the holder of the following certificate has filed said certificate for a tax deed to be issued thereon. The certificate number and year of issuance, the description of the property, and the names in which it was assessed are as follows:

Certificate

09476

Said property being in the County of Duval, State of Florida. Unless such certificate shall be redeemed according to law the property described in such certificate shall be sold to the highest bidder at www.Duval. RealTaxDeed.com, on the 11th day of October, 2023. The auction for this date will begin at 8:00 am and continue until the entire auction calendar is exhausted.

Dated the 7th day of August, 2023 JODY PHILLIPS Clerk of Circuit Court of Duval County, Florida

By: GK Griffin Deputy Clerk (Seal) Sep. 7/14/21/28 00 (23-05926D)

NOTICE OF APPLICATION FOR TAX DEED

NOTICE IS HEREBY GIVEN, that IZIA ROKOSZ the holder of the following certificate has filed said certificate for a tax deed to be issued thereon. The certificate number and year of issuance, the description of the property, and the names in which it was assessed are as follows:

Certificate No: 14158

Year of Issuance: 2016

Description of Property: 01-086 56-2S-26E WEST LEWISVILLE FRACL E 33FT OF N 1/2 LOT 1 BLK 6 U/W SARAH HUTCHINSON D BKS 606286,1457-481 PROB 21125-D

Name in which assessed: IVORY C HUTCHINSON c/o

JOSEPHINE M JOHNSON , SARAH HUTCHINSON c/o

JOSEPHINE M JOHNSON

Said property being in the County of Duval, State of Florida. Unless such certificate shall be redeemed according to law the property described in such certificate shall be sold to the highest bidder at www.Duval. RealTaxDeed.com, on the 11th day of October, 2023. The auction for this date will begin at 8:00 am and continue until the entire auction calendar is exhausted.

2023

Dated the 7th day of August,

JODY PHILLIPS

Clerk of Circuit Court of Duval County, Florida

By: GK Griffin Deputy Clerk (Seal) Sep. 7/14/21/28 00 (23-05900D)

NOTICE OF APPLICATION FOR TAX DEED

NOTICE IS HEREBY GIVEN, that MIKON FINANICAL SERVICES INC A the holder of the following certificate has filed said certificate for a tax deed to be issued thereon. The certificate number and year of issuance, the description of the property, and the names in which it was assessed are as follows:

Certificate No: 04587

Year of Issuance: 2021

Description of Property:

3-31 50-1S-27E ELLIS & NUNNS

S/D LOT 37 PANAMA PARK LOT 2 BLK 2

Certificate No: 04870 Year of Issuance: 2021 Description of Property: 4-38 ARMSTRONGS S/D RIVERVIEW N 8FT OF E 30FT LOT 11 BLK 115 Name in which assessed: DAMON C POWELL Said property being in the County of Duval, State of Florida. Unless such certificate shall be redeemed according to law the property described in such certificate shall be sold to the highest bidder at www.Duval. RealTaxDeed.com, on the 11th day of October, 2023. The auction for this date will begin at 8:00 am and continue until the entire auction calendar is exhausted.

Dated the 7th day of August, 2023 JODY PHILLIPS Clerk of Circuit Court of Duval County, Florida

By: GK Griffin Deputy Clerk (Seal) Sep. 7/14/21/28 16 (23-05927D)

NOTICE OF APPLICATION FOR TAX DEED NOTICE IS HEREBY GIVEN, that LIEN INTUIT LLC the holder of the following certificate has filed said certificate for a tax deed to be issued thereon. The certificate number and year of issuance, the description of the property, and the names in which it was assessed are as follows:

Certificate No: 20079

Year of Issuance: 2019

Description of Property: 06-3S-28E .948 PT GOVT LOTS 3,4 RECD O/R 4069-181, BEING PARCEL G(EX P BKS 43-85,4476, 46-73,47-22,23,34,48-37,82)

Name in which assessed: ST JOHNS BLUFF UTILITY COMPANY INC, ST JOHNS BLUFF UTILITY COMPANY INC c/o JAMES O’DONNELL, REGISTERED AGENT Said property being in the County of Duval, State of Florida. Unless such certificate shall be redeemed according to law the property described in such certificate shall be sold to the highest bidder at www.Duval. RealTaxDeed.com, on the 11th day of October, 2023. The auction for this date will begin at 8:00 am and continue until the entire auction calendar is exhausted.

Dated the 7th day of August, 2023 JODY PHILLIPS Clerk of Circuit Court of Duval County, Florida

By: GK Griffin Deputy Clerk (Seal) Sep. 7/14/21/28 00 (23-05875D)

NOTICE OF APPLICATION FOR TAX DEED NOTICE IS HEREBY GIVEN, that JPL INVESTMENTS CORP OCEAN BANKS AS CUST FOR JPL IN the holder of the following certificate has filed said certificate for a tax deed to be issued thereon. The certificate number and year of issuance, the description of the property, and the names in which it was assessed are as follows:

Certificate No: 06528

Year of Issuance: 2021

Description of Property: 2-59 55-2S-26E GRAND PARK LOT 3 BLK 10

HOME

INC

property being in the County of Duval, State of Florida. Unless such certificate shall be redeemed according to law the property described in such certificate shall be sold to the highest bidder at www.Duval. RealTaxDeed.com, on the 11th day of October, 2023. The auction for this date will begin at 8:00 am and continue until the entire auction calendar is exhausted. Dated the 7th day of August, 2023

DEVOE POTTER, DECEASED , EDGAR VERDAN POTTER Said property being in the County of Duval, State of Florida. Unless such certificate shall be redeemed according to law the property described in such certificate shall be sold to the highest bidder at www.Duval. RealTaxDeed.com, on the 11th day of October, 2023. The auction for this date will begin at 8:00 am and continue until the entire auction calendar is exhausted.

Dated the 7th day of August,

Name in which assessed: ALAZAR FEREDE DEMOZ, GIDEY BERHANE DEMOZ

Said property being in the County of Duval, State of Florida. Unless such certificate shall be redeemed according to law the property described in such certificate shall be sold to the highest bidder at www.Duval. RealTaxDeed.com, on the 11th day of October, 2023.

The auction for this date will begin at 8:00 am and continue until the entire auction calendar is exhausted.

Dated

Name in which assessed: EMPOWER RENT, INC., EMPOWER RENT, INC. c/o MICHAEL A BARNES, REGISTERED AGENT , EMPOWER RENT, INC. Said property being in the County of Duval, State of Florida. Unless such certificate shall be redeemed according to law the property described in such certificate shall be sold to the highest bidder at www.Duval. RealTaxDeed.com, on the 11th day of October, 2023. The auction for this date will begin at 8:00 am and continue until the entire auction calendar is exhausted.

Dated the 7th day of August, 2023 JODY PHILLIPS Clerk of Circuit Court of Duval County, Florida By: GK Griffin Deputy Clerk (Seal) Sep. 7/14/21/28 00 (23-05848D)

Name in which assessed: MICHAEL CHAPPLE , CONSTANCE DEVAUGHN, MICHAEL CHAPPLE, CONSTANCE DEVAUGHN, CONSTANCE DEVAUGHN Said property being in the County of Duval, State of Florida. Unless such certificate shall be redeemed according to law the property described in such certificate shall be sold to the highest bidder at www.Duval. RealTaxDeed.com, on the 11th day of October, 2023. The auction for this date will begin at 8:00 am and continue until the entire auction calendar is exhausted.

Dated the 7th day of August, 2023

JODY PHILLIPS Clerk of Circuit Court of Duval County, Florida

By: GK Griffin Deputy Clerk (Seal)

14C THURSDAY, SEPTEMBER 14, 2023 JACKSONVILLE DAILY RECORD
DUVAL
SECOND INSERTION SECOND INSERTION SECOND INSERTION SECOND INSERTION SECOND INSERTION SECOND INSERTION SECOND INSERTION SECOND INSERTION SECOND INSERTION SECOND INSERTION SECOND INSERTION SECOND INSERTION SECOND INSERTION SECOND INSERTION SECOND INSERTION SECOND INSERTION SECOND INSERTION
COUNTY • SUBSEQUENT INSERTIONS
SECOND INSERTION
Sep.
7/14/21/28 16 (23-05843D)
9-29 41-2S-26E
ADDN TO JAX
5, N 1/2 CL R/W O/R 17075-1986 LYING SLY THEREOF
No:
Year of Issuance: 2021 Description of Property:
.238 GRANT
LOT 1 BLK
of
of Duval County,
GK Griffin Deputy Clerk (Seal) Sep. 7/14/21/28 00 (23-05850D)
the 7th day of August, 2023 JODY PHILLIPS Clerk
Circuit Court
Florida By:
, MARY
2023 JODY
Clerk
Duval County,
By: GK Griffin Deputy Clerk (Seal) Sep. 7/14/21/28 00 (23-05860D)
Certificate No:
Year of Issuance:
Description of Property: 2-21 07-2S-26E .16 CAMPBELLS ADDN TO JAX LOT 13 BLK 26 Name in which assessed: HOME CHOICE SERVICES
HOME CHOICE
INC c/o ANTONIO
JODY
By: GK Griffin Deputy Clerk (Seal) Sep. 7/14/21/28 00 (23-05856D)
PHILLIPS
of Circuit Court of
Florida
NOTICE
follows:
12578
2021
INC,
SERVICES
ALENCAR, REGISTERED AGENT ,
CHOICE SERVICES
Said
PHILLIPS Clerk of Circuit Court of Duval County, Florida
Sep. 7/14/21/28 16
(Seal)
(23-05868D)
Certificate No: 05666 Year of Issuance: 2020 Description of Property: 6-28 R/P N BROOKSIDE LOTS 8,9 WATER BLK 2 Name in which assessed: LUTRELLE
DECEASED
AMANDA DEAN,

NOTICE OF APPLICATION FOR TAX DEED

NOTICE IS HEREBY GIVEN, that MIKON FINANICAL SERVICES INC A the holder of the following certificate has filed said certificate for a tax deed to be issued thereon. The certificate number and year of issuance, the description of the property, and the names in which it was assessed are as follows:

Certificate No: 10569

Year of Issuance: 2021

Description of Property: 05-038 BRENTWOOD

LOT 11 BLK 27

Name in which assessed:

AURELIUS D. STAFFORD, AURELIUS D. STAFFORD

Said property being in the County of Duval, State of Florida. Unless such certificate shall be redeemed according to law the property described in such certificate shall be sold to the highest bidder at www.Duval. RealTaxDeed.com, on the 11th day of October, 2023.

The auction for this date will begin at 8:00 am and continue until the entire auction calendar is exhausted.

Dated the 7th day of August, 2023 JODY PHILLIPS Clerk of Circuit Court of Duval County, Florida

By: GK Griffin Deputy Clerk (Seal) Sep. 7/14/21/28 25 (23-05761D)

NOTICE OF APPLICATION FOR TAX DEED

NOTICE IS HEREBY GIVEN, that MARK CURTISS the holder of the following certificate has filed said certificate for a tax deed to be issued thereon. The certificate number and year of issuance, the description of the property, and the names in which it was assessed are as follows:

Certificate No: 04969

Year of Issuance: 2018

Description of Property:

9-17 39-1S-26E RIVERHILLS PARK LOT 31 BLK 8

Name in which assessed: JAVAS CORPORATION , JAVAS CORPORATION, JAVAS CORPORATION c/o LEGALINC CORPORATE SERVICES INC., REGISTERED AGENT

Said property being in the County of Duval, State of Florida. Unless such certificate shall be redeemed according to law the property described in such certificate shall be sold to the highest bidder at www.Duval. RealTaxDeed.com, on the 11th day of October, 2023. The auction for this date will begin at 8:00 am and continue until the entire auction calendar is exhausted.

Dated the 7th day of August, 2023 JODY PHILLIPS Clerk of Circuit Court of Duval County, Florida

By: GK Griffin Deputy Clerk (Seal) Sep. 7/14/21/28 00 (23-05740D)

NOTICE OF APPLICATION FOR TAX DEED

NOTICE IS HEREBY GIVEN, that AGTC INVESTMENTS, LLC OCEAN BANK the holder of the following certificate has filed said certificate for a tax deed to be issued thereon. The certificate number and year of issuance, the description of the property, and the names in which it was assessed are as follows:

Certificate No: 14550

Year of Issuance: 2021

Description of Property:

01-3S-27E IL VILLAGIO

CONDOMINIUM 3 UNIT 2224

BLDG 2200 7.13% INT

COMMON ELEMENTS O/R 12091-784

Name in which assessed:

HOLLY RAMONA REDDY , HOLLY RAMONA REDDY

Said property being in the County of Duval, State of Florida. Unless such certificate shall be redeemed according to law the property described in such certificate shall be sold to the highest bidder at www.Duval. RealTaxDeed.com, on the 11th day of October, 2023.

The auction for this date will begin at 8:00 am and continue until the entire auction calendar is exhausted.

Dated the 7th day of August, 2023

JODY PHILLIPS Clerk of Circuit Court of Duval County, Florida

By: GK Griffin Deputy Clerk (Seal)

7/14/21/28 25 (23-05743D)

NOTICE OF APPLICATION FOR TAX DEED

NOTICE IS HEREBY GIVEN, that MIKON FINANICAL SERVICES INC A the holder of the following certificate has filed said certificate for a tax deed to be issued thereon. The certificate number and year of issuance, the description of the property, and the names in which it was assessed are as follows:

Certificate No: 13759

Year of Issuance: 2021

Description of Property: 46-2S-27E ST ELMO LOT 16 BLK 20 D BK 1493-340

Name in which assessed: ROBERT JACKSON , ROBERT JACKSON

Said property being in the County of Duval, State of Florida. Unless such certificate shall be redeemed according to law the property described in such certificate shall be sold to the highest bidder at www.Duval. RealTaxDeed.com, on the 11th day of October, 2023. The auction for this date will begin at 8:00 am and continue until the entire auction calendar is exhausted.

Dated the 7th day of August, 2023 JODY PHILLIPS Clerk of Circuit Court of Duval County, Florida

By: GK Griffin Deputy Clerk (Seal) Sep. 7/14/21/28 00 (23-05756D)

NOTICE OF APPLICATION FOR TAX DEED

NOTICE IS HEREBY GIVEN, that AGTC INVESTMENTS, LLC

OCEAN BANK the holder of the following certificate has filed said certificate for a tax deed to be issued thereon. The certificate number and year of issuance, the description of the property, and the names in which it was assessed are as follows:

Certificate No: 11829

2021

9 Name in which assessed: BAXTER W. SMITH, JR AS TRUSTEE FOR BARBARA FRANCES RITTER

Said property being in the County of Duval, State of Florida. Unless such certificate shall be redeemed according to law the property described in such certificate shall be sold to the highest bidder at www.Duval. RealTaxDeed.com, on the 11th day of October, 2023.

The auction for this date will begin at 8:00 am and continue until the entire auction calendar is exhausted.

Dated the 7th day of August, 2023 JODY PHILLIPS Clerk of Circuit Court of Duval County, Florida

By: GK Griffin Deputy Clerk (Seal) Sep. 7/14/21/28 00 (23-05745D)

NOTICE OF APPLICATION FOR TAX DEED NOTICE IS HEREBY GIVEN, that MARK CURTISS the holder of the following certificate has filed said certificate for a tax deed to be issued thereon. The certificate number and year of issuance, the description of the property, and the names in which it was assessed are as follows: Certificate No: 05165 Year of Issuance: 2020 Description of Property: 9-17 39-1S-26E RIVERHILLS PARK LOT 30 BLK 8

Name in which assessed: CHARLOTTE ENGSTROM WHEELER AS TRUSTEE OF THE CHARLOTTE E. WHEELER LIVING TRUST AGREEMENT, DATED MARCH 5, 1997

Said property being in the County of Duval, State of Florida. Unless such certificate shall be redeemed according to law the property described in such certificate shall be sold to the highest bidder at www.Duval. RealTaxDeed.com, on the 11th day of October, 2023. The auction for this date will begin at 8:00 am and continue until the entire auction calendar is exhausted.

Dated the 7th day of August, 2023 JODY PHILLIPS Clerk of Circuit Court of Duval County, Florida

GK Griffin Deputy Clerk (Seal) Sep. 7/14/21/28 00 (23-05738D)

NOTICE OF APPLICATION FOR TAX DEED

NOTICE IS HEREBY GIVEN, that MIKON FINANICAL SERVICES INC A the holder of the following certificate has filed said certificate for a tax deed to be issued thereon. The certificate number and year of issuance, the description of the property, and the names in which it was assessed are as follows:

Certificate No: 10557

Year of Issuance: 2021

Description of Property: 5-38 01-2S-26E BRENTWOOD LOT 4 BLK 21

Name in which assessed:

ALVIN LEON CURRY, ALBERT CURRY Said property being in the County of Duval, State of Florida. Unless such certificate shall be redeemed according to law the property described in such certificate shall be sold to the highest bidder at www.Duval. RealTaxDeed.com, on the 11th day of October, 2023.

The auction for this date will begin at 8:00 am and continue until the entire auction calendar is exhausted.

Dated the 7th day of August, 2023

JODY PHILLIPS Clerk of Circuit Court of Duval County, Florida

By: GK Griffin Deputy Clerk (Seal) Sep. 7/14/21/28 00 (23-05767D)

NOTICE OF APPLICATION FOR TAX DEED

NOTICE IS HEREBY GIVEN, that MIKON FINANICAL SERVICES INC A the holder of the following certificate has filed said certificate for a tax deed to be issued thereon. The certificate number and year of issuance, the description of the property, and the names in which it was assessed are as follows:

Certificate No: 05994

Year of Issuance: 2021

Description of Property: 16-48 01-2S-26E SPRINGFIELD COURT R/P BLKS 2 & 13 NEW SPRINGFIELD LOT 14 BLK 1

Name in which assessed: EARL ALEXANDER, DECEASED , EARL ALEXANDER, DECEASED

Said property being in the County of Duval, State of Florida. Unless such certificate shall be redeemed according to law the property described in such certificate shall be sold to the highest bidder at www.Duval. RealTaxDeed.com, on the 11th day of October, 2023. The auction for this date will begin at 8:00 am and continue until the entire auction calendar is exhausted.

Dated the 7th day of August, 2023

JODY PHILLIPS Clerk of Circuit Court of Duval County, Florida

By: GK Griffin Deputy Clerk (Seal)

Sep. 7/14/21/28 00 (23-05759D)

NOTICE OF APPLICATION FOR TAX DEED

NOTICE IS HEREBY GIVEN, that JPL INVESTMENTS CORP OCEAN BANKS AS CUST FOR JPL IN the holder of the following certificate has filed said certificate for a tax deed to be issued thereon. The certificate number and year of issuance, the description of the property, and the names in which it was assessed are as follows:

Certificate No: 03333

Year of Issuance: 2021

Description of Property:

8-44 39-1S-26E .378 PICKETTS S/D SIBBALD GRANT SLY 162.5FT OF ELY 101.25FT OF WLY 262.5FT OF NLY 627.5FT LOT 10

Name in which assessed: RAYMOND E RICHO JR

Said property being in the County of Duval, State of Florida. Unless such certificate shall be redeemed according to law the property described in such certificate shall be sold to the highest bidder at www.Duval. RealTaxDeed.com, on the 11th day of October, 2023. The auction for this date will begin at 8:00 am and continue until the entire auction calendar is exhausted.

Dated the 7th day of August, 2023 JODY PHILLIPS Clerk of Circuit Court of Duval County, Florida By: GK Griffin Deputy Clerk

NOTICE OF APPLICATION FOR TAX DEED

NOTICE IS HEREBY GIVEN, that MIKON FINANICAL SERVICES INC A the holder of the following certificate has filed said certificate for a tax deed to be issued thereon. The certificate number and year of issuance, the description of the property, and the names in which it was assessed are as follows:

Certificate No: 10028

Year of Issuance: 2021

Description of Property:

3-55 55-2S-26E RAMBACH

SQUARE LOT 7 BLK 4

Name in which assessed:

TONYA C THOMAS , RICHARDEAN WASHINGTON

Said property being in the County of Duval, State of Florida. Unless such certificate shall be redeemed according to law the property described in such certificate shall be sold to the highest bidder at www.Duval. RealTaxDeed.com, on the 11th day of October, 2023. The auction for this date will begin at 8:00 am and continue until the entire auction calendar is exhausted.

Dated the 7th day of August, 2023 JODY PHILLIPS Clerk of Circuit Court of Duval County, Florida

By: GK Griffin Deputy Clerk (Seal) Sep. 7/14/21/28 00 (23-05747D)

NOTICE OF APPLICATION FOR TAX DEED

NOTICE IS HEREBY GIVEN, that MIKON FINANICAL SERVICES INC A the holder of the following certificate has filed said certificate for a tax deed to be issued thereon. The certificate number and year of issuance, the description of the property, and the names in which it was assessed are as follows:

Certificate No: 10366

Year of Issuance: 2021

Description of Property: 6-8 55-2S-26E MONCRIEF PARK LOT 3 BLK 17

Name in which assessed: NETTIE B. KING , MICHELLE SHEERON GREENE , NETTIE B. KING, MICHELLE SHEERON GREENE

Said property being in the County of Duval, State of Florida. Unless such certificate shall be redeemed according to law the property described in such certificate shall be sold to the highest bidder at www.Duval. RealTaxDeed.com, on the 11th day of October, 2023. The auction for this date will begin at 8:00 am and continue until the entire auction calendar is exhausted.

Dated the 7th day of August, 2023 JODY PHILLIPS Clerk of Circuit Court of Duval County, Florida By: GK Griffin Deputy Clerk (Seal) Sep. 7/14/21/28 00 (23-05762D)

NOTICE OF APPLICATION FOR TAX DEED

NOTICE IS HEREBY GIVEN, that JPL INVESTMENTS CORP OCEAN BANKS AS CUST FOR JPL IN the holder of the following certificate has filed said certificate for a tax deed to be issued thereon. The certificate number and year of issuance, the description of the property, and the names in which it was assessed are as follows:

Certificate No: 03670

Year of Issuance: 2021

Description of Property: 5-15 39-1S-26E PEARL CREST LOTS 3,6 BLK 9

Name in which assessed: HEAVENLY HANDS FUNDING, HEAVENLY HANDS FUNDING LLC c/o LAURENT MINGUEZ, REGISTERED AGENT

Said property being in the County of Duval, State of Florida. Unless such certificate shall be redeemed according to law the property described in such certificate shall be sold to the highest bidder at www.Duval. RealTaxDeed.com, on the 11th day of October, 2023. The auction for this date will begin at 8:00 am and continue until the entire auction calendar is exhausted.

Dated the 7th day of August, 2023 JODY PHILLIPS Clerk of Circuit Court of Duval County, Florida By: GK Griffin Deputy Clerk (Seal) Sep. 7/14/21/28 00 (23-05819D)

NOTICE OF APPLICATION FOR TAX DEED NOTICE IS HEREBY GIVEN, that MIKON FINANICAL SERVICES INC A the holder of the following certificate has filed said certificate for a tax deed to be issued thereon. The certificate number and year of issuance, the description of the property, and the names in which it was assessed are as follows:

Certificate No: 03626

Year of Issuance: 2021

Description of Property: 32-55 39-1S-26E OAKHURST GARDENS LOT 2 BLK 2

Name in which assessed: CASSANDRA BATTLES, CASSANDRA BATTLES

Said property being in the County of Duval, State of Florida. Unless such certificate shall be redeemed according to law the property described in such certificate shall be sold to the highest bidder at www.Duval. RealTaxDeed.com, on the 11th day of October, 2023. The auction for this date will begin at 8:00 am and continue until the entire auction calendar is exhausted.

Dated the 7th day of August, 2023 JODY PHILLIPS Clerk of Circuit Court of Duval County, Florida By: GK Griffin Deputy Clerk (Seal) Sep. 7/14/21/28 00 (23-05774D)

NOTICE OF APPLICATION FOR TAX DEED

NOTICE IS HEREBY GIVEN, that MIKON FINANICAL SERVICES INC A the holder of the following certificate has filed said certificate for a tax deed to be issued thereon. The certificate number and year of issuance, the description of the property, and the names in which it was assessed are as follows:

Certificate No: 03242

Year of Issuance: 2021

Description of Property: 16-78 LAKE FOREST R/P SEC 3 LOT 3 BLOCK 4

Name in which assessed: MARK JOHNSON CHARITABLE REMAINDER TRUST, DEBORAH KING CHARITABLE REMAINDER TRUST

Said property being in the County of Duval, State of Florida. Unless such certificate shall be redeemed according to law the property described in such certificate shall be sold to the highest bidder at www.Duval. RealTaxDeed.com, on the 11th day of October, 2023. The auction for this date will begin at 8:00 am and continue until the entire auction calendar is exhausted.

Dated the 7th day of August, 2023 JODY PHILLIPS Clerk of Circuit Court of Duval County, Florida

By: GK Griffin Deputy Clerk (Seal) Sep. 7/14/21/28 00 (23-05766D)

NOTICE OF APPLICATION FOR TAX DEED

NOTICE IS HEREBY GIVEN, that GSRAN-Z, LLC CHRISTIANA TRUST AS CUSTODIAN GSRAN-Z, LLC DEPOSIT ACCOUNT the holder of the following certificate has filed said certificate for a tax deed to be issued thereon. The certificate number and year of issuance, the description of the property, and the names in which it was assessed are as follows:

Certificate No: 12043

Year of Issuance: 2021

Description of Property: 33-1S-27E .09 PT LOT GOVT 11 RECD O/R 19393-593 BEING UNIT 20 BLDG B Name in which assessed:

HOLGUY SAINT HILAIRE, WESLAINE P SAINT HILAIRE Said property being in the County of Duval, State of Florida. Unless such certificate shall be redeemed according to law the property described in such certificate shall be sold to the highest bidder at www.Duval. RealTaxDeed.com, on the 11th day of October, 2023. The auction for this date will begin at 8:00 am and continue until the entire auction calendar is exhausted.

Dated the 7th day of August, 2023 JODY PHILLIPS Clerk of Circuit Court of Duval County, Florida By: GK Griffin Deputy Clerk (Seal) Sep. 7/14/21/28 00 (23-05836D)

NOTICE OF APPLICATION FOR TAX DEED

NOTICE IS HEREBY GIVEN, that MIKON FINANICAL SERVICES INC A the holder of the following certificate has filed said certificate for a tax deed to be issued thereon. The certificate number and year of issuance, the description of the property, and the names in which it was assessed are as follows:

Certificate No: 00229

Year of Issuance: 2021

Description of Property: 16-2S-24E PT SW1/4 OF NE1/4 RECD O/R 10140-1728

Name in which assessed:

MICHAEL KITTELL, MICHAEL KITTELL, MICHAEL KITTELL

Said property being in the County of Duval, State of Florida. Unless such certificate shall be redeemed according to law the property described in such certificate shall be sold to the highest bidder at www.Duval. RealTaxDeed.com, on the 11th day of October, 2023.

The auction for this date will begin at 8:00 am and continue until the entire auction calendar is exhausted.

Dated the 7th day of August, 2023 JODY PHILLIPS Clerk of Circuit Court of Duval County, Florida

By: GK Griffin Deputy Clerk (Seal) Sep. 7/14/21/28 25 (23-05768D)

NOTICE OF APPLICATION FOR TAX DEED

NOTICE IS HEREBY GIVEN, that MIKON FINANICAL SERVICES INC A the holder of the following certificate has filed said certificate for a tax deed to be issued thereon. The certificate number and year of issuance, the description of the property, and the names in which it was assessed are as follows:

Certificate No: 02448

Year of Issuance: 2021

Description of Property: 28-100 12-3S-25E R/P OF PT OF CEDAR HILLS ESTATES UNIT 6 LOT 22 BLK 31

Name in which assessed: ESTATE OF MARY F LINDSEY, DECEASED, GEORGE CLYDE FOX

Said property being in the County of Duval, State of Florida. Unless such certificate shall be redeemed according to law the property described in such certificate shall be sold to the highest bidder at www.Duval. RealTaxDeed.com, on the 11th day of October, 2023. The auction for this date will begin at 8:00 am and continue until the entire auction calendar is exhausted.

Dated the 7th day of August, 2023 JODY PHILLIPS Clerk of Circuit Court of Duval County, Florida

By: GK Griffin Deputy Clerk (Seal) Sep. 7/14/21/28 00 (23-05784D)

NOTICE OF APPLICATION FOR TAX DEED NOTICE IS HEREBY GIVEN, that SAVVY FL LLC FIRST HORIZON COLLATERAL ASSIG the holder of the following certificate has filed said certificate for a tax deed to be issued thereon. The certificate number and year of issuance, the description of the property, and the names in which it was assessed are as follows:

Certificate No: 01241

Year of Issuance: 2021

Description of Property: 5-93 28-2S-25E JACKSONVILLE HEIGHTS PT TRACT 11 RECD O/R BK 2953167 BLK 2

Name in which assessed: MENZO A DAVIS, DECEASED, BETTY J DAVIS

Said property being in the County of Duval, State of Florida. Unless such certificate shall be redeemed according to law the property described in such certificate shall be sold to the highest bidder at www.Duval. RealTaxDeed.com, on the 11th day of October, 2023. The auction for this date will begin at 8:00 am and continue until the entire auction calendar is exhausted.

Dated the 7th day of August, 2023 JODY PHILLIPS Clerk of Circuit Court of Duval County, Florida By: GK Griffin Deputy Clerk (Seal) Sep. 7/14/21/28 25 (23-05851D)

THURSDAY, SEPTEMBER 14, 2023 15C JACKSONVILLE DAILY RECORD PUBLIC
DUVAL COUNTY • SUBSEQUENT INSERTIONS SECOND INSERTION SECOND INSERTION SECOND INSERTION SECOND INSERTION SECOND INSERTION SECOND INSERTION SECOND INSERTION SECOND INSERTION SECOND INSERTION SECOND INSERTION SECOND INSERTION SECOND INSERTION
INSERTION SECOND INSERTION SECOND INSERTION SECOND INSERTION SECOND INSERTION SECOND INSERTION
NOTICES
SECOND
Sep.
By:
OCEANWAY MANOR UNIT 5 S/D PT SEC 7 LOT 5 BLK
Year of Issuance:
Description of Property: 29-62 37-1N-27E
(Seal) Sep. 7/14/21/28 00
(23-05812D)

NOTICE OF APPLICATION FOR TAX DEED

NOTICE IS HEREBY GIVEN, that IZIA ROKOSZ the holder of the following certificate has filed said certificate for a tax deed to be issued thereon. The certificate number and year of issuance, the description of the property, and the names in which it was assessed are as follows:

Certificate No: 16616

Year of Issuance: 2019

Description of Property: 5-42 46-2S-27E MILLERS S/D BLK F LONG BRANCH S 17FT LOT 29 BLK 3

Name in which assessed:

THADDAEUS WILSON, DORIS WILSON

Said property being in the County of Duval, State of Florida. Unless such certificate shall be redeemed according to law the property described in such certificate shall be sold to the highest bidder at www.Duval. RealTaxDeed.com, on the 11th day of October, 2023.

The auction for this date will begin at 8:00 am and continue until the entire auction calendar is exhausted.

Dated the 7th day of August, 2023

JODY PHILLIPS

Clerk of Circuit Court of Duval County, Florida

By: GK Griffin Deputy Clerk (Seal) Sep. 7/14/21/28 15 (23-05951D)

NOTICE OF APPLICATION FOR TAX DEED

NOTICE IS HEREBY GIVEN, that IZIA ROKOSZ the holder of the following certificate has filed said certificate for a tax deed to be issued thereon. The certificate number and year of issuance, the description of the property, and the names in which it was assessed are as follows:

Certificate No: 07079

Year of Issuance: 2017

Description of Property:

13-85 43-1S-26E .161 PLAT OF ESTATE OF HENRY F MASTERS PT TRACT 3 RECD O/R 2822-797 (EX PT RECD O/R 8034-2078)

Name in which assessed: JOSEPH E. WILLIAMS , HELEN ALLEN WILLIAMS

Said property being in the County of Duval, State of Florida. Unless such certificate shall be redeemed according to law the property described in such certificate shall be sold to the highest bidder at www.Duval. RealTaxDeed.com, on the 11th day of October, 2023. The auction for this date will begin at 8:00 am and continue until the entire auction calendar is exhausted.

Dated the 7th day of August, 2023 JODY PHILLIPS Clerk of Circuit Court of Duval County, Florida

By: GK Griffin Deputy Clerk (Seal) Sep. 7/14/21/28 00 (23-05914D)

NOTICE OF APPLICATION FOR TAX DEED

NOTICE IS HEREBY GIVEN, that BEAMIF A LLC the holder of the following certificate has filed said certificate for a tax deed to be issued thereon. The certificate number and year of issuance, the description of the property, and the names in which it was assessed are as follows:

Certificate No: 09554

Year of Issuance: 2021

Description of Property:

10-2S-26E HESELTON & PAYNES S/D OF PTS LOTS 4,5

HARDEES S/D LOTS 13,14,15 BLK 3

Name in which assessed: THE PENTECOSTAL CHURCH OF GOD, INC., THE PENTECOSTAL CHURCH OF GOD, INC., THE PENTECOSTAL CHURCH OF GOD, INC. c/o

CHARLES WILSON, SR., REG -

ISTERED AGENT , THE PENTECOSTAL CHURCH OF GOD, INC., THE PENTECOSTAL CHURCH OF GOD, INC. Said property being in the County of Duval, State of Florida. Unless such certificate shall be redeemed according to law the property described in such certificate shall be sold to the highest bidder at www.Duval. RealTaxDeed.com, on the 11th day of October, 2023. The auction for this date will begin at 8:00 am and continue until the entire auction calendar is exhausted.

2023

Dated the 7th day of August,

JODY PHILLIPS Clerk of Circuit Court of Duval County, Florida

By: GK Griffin Deputy Clerk (Seal) Sep. 7/14/21/28 15 (23-05869D)

NOTICE OF APPLICATION FOR TAX DEED

NOTICE IS HEREBY GIVEN, that IZIA ROKOSZ the holder of the following certificate has filed said certificate for a tax deed to be issued thereon. The certificate number and year of issuance, the description of the property, and the names in which it was assessed are as

AS TRUSTEE

Said property being in the County of Duval, State of Florida. Unless such certificate shall be redeemed according to law the property described in such certificate shall be sold to the highest bidder at www.Duval. RealTaxDeed.com, on the 11th day of October, 2023. The auction for this date will begin at 8:00 am and continue until the entire auction calendar is exhausted.

Dated the 7th day of August, 2023

JODY PHILLIPS Clerk of Circuit Court of Duval County, Florida

By: GK Griffin Deputy Clerk (Seal) Sep. 7/14/21/28 00 (23-05952D)

NOTICE OF APPLICATION FOR TAX DEED

NOTICE IS HEREBY GIVEN, that IZIA ROKOSZ the holder of the following certificate has filed said certificate for a tax deed to be issued thereon. The certificate number and year of issuance, the description of the property, and the names in which it was assessed are as follows:

Certificate No: 04421

Year of Issuance: 2021

Description of Property: 5-38 39-1S-26E .10 BRENTWOOD PT LOTS 11,12,13, 17,18 PT CL ALLEY PT BLK 10 (EX PBK RECD 24-79, PT RECD O/R 16000-2047)

Name in which assessed: NORTH GATE OF JACKSONVILLE, INC

Said property being in the County of Duval, State of Florida. Unless such certificate shall be redeemed according to law the property described in such certificate shall be sold to the highest bidder at www.Duval. RealTaxDeed.com, on the 11th day of October, 2023. The auction for this date will begin at 8:00 am and continue until the entire auction calendar is exhausted.

Dated the 7th day of August, 2023

JODY PHILLIPS Clerk of Circuit Court of Duval County, Florida

By: GK Griffin Deputy Clerk (Seal) Sep. 7/14/21/28 00 (23-05917D)

NOTICE OF APPLICATION FOR TAX DEED

NOTICE IS HEREBY GIVEN, that IZIA ROKOSZ the holder of the following certificate has filed said certificate for a tax deed to be issued thereon. The certificate number and year of issuance, the description of the property, and the names in which it was assessed are as follows:

Certificate No: 15705

Year of Issuance: 2016

Description of Property: 5-6 40-1N-27E 3.323 LOS ANGELES GARDENS LOTS 3,4,5,6,PT LOT 1(EX PT RECD O/R 10337-709,PBK 56-72) BLK 4, PT CLSD R/W RECD O/R 11106-2060, 6 -57 DUVAL CITY ADDITION FARMS 3,4,PT FARMS 1,2 RECD O/R 10249-1428 (EX PT RECD PBK 56-72, 57-82)

Name in which assessed: HIDDEN LAKES - MRM, INC., HIDDEN LAKES - MRM, INC. c/o MITCHELL R MONTGOMERY, REG. AGENT Said property being in the County of Duval, State of Florida. Unless such certificate shall be redeemed according to law the property described in such certificate shall be sold to the highest bidder at www.Duval. RealTaxDeed.com, on the 11th day of October, 2023. The auction for this date will begin at 8:00 am and continue until the entire auction calendar is exhausted.

Dated the 7th day of August, 2023 JODY PHILLIPS Clerk of Circuit Court of Duval

NOTICE OF APPLICATION FOR TAX DEED

NOTICE IS HEREBY GIVEN, that IZIA ROKOSZ the holder of the following certificate has filed said certificate for a tax deed to be issued thereon. The certificate number and year of issuance, the description of the property, and the names in which it was assessed are as follows:

Certificate No: 15932

Year of Issuance: 2018

Description of Property: 18-2S-27E OAKLAND E 20FT OF W 40FT LOT 187 BLK 28 D BK 1199-52

Name in which assessed: OUIDA J CRAWFORD c/o ALFREDA TELFAIR

Said property being in the County of Duval, State of Florida. Unless such certificate shall be redeemed according to law the property described in such certificate shall be sold to the highest bidder at www.Duval. RealTaxDeed.com, on the 11th day of October, 2023. The auction for this date will begin at 8:00 am and continue until the entire auction calendar is exhausted.

Dated the 7th day of August, 2023

JODY PHILLIPS Clerk of Circuit Court of Duval County, Florida

By: GK Griffin Deputy Clerk (Seal) Sep. 7/14/21/28 00 (23-05953D)

NOTICE OF APPLICATION FOR TAX DEED

NOTICE IS HEREBY GIVEN, that IZIA ROKOSZ the holder of the following certificate has filed said certificate for a tax deed to be issued thereon. The certificate number and year of issuance, the description of the property, and the names in which it was assessed are as follows:

Certificate No: 20507

Year of Issuance: 2020

Description of Property: 22-74 30-2S-28E .484 NOTTINGHAM FOREST UNIT 2 W 150FT OF E 437FT OF LOT 23 BLK 12

Name in which assessed: GERTRUDE E ROTH, ROBERT L ROTH JR, ROBERT L ROTH JR

Said property being in the County of Duval, State of Florida. Unless such certificate shall be redeemed according to law the property described in such certificate shall be sold to the highest bidder at www.Duval. RealTaxDeed.com, on the 11th day of October, 2023. The auction for this date will begin at 8:00 am and continue until the entire auction calendar is exhausted.

2023

Dated the 7th day of August,

JODY PHILLIPS Clerk of Circuit Court of Duval County, Florida

By: GK Griffin Deputy Clerk (Seal) Sep. 7/14/21/28 00 (23-05942D)

NOTICE OF APPLICATION FOR TAX DEED

NOTICE IS HEREBY GIVEN, that IZIA ROKOSZ the holder of the following certificate has filed said certificate for a tax deed to be issued thereon. The certificate number and year of issuance, the description of the property, and the names in which it was assessed are as follows:

Certificate No: 17242

Year of Issuance: 2017

Description of Property: 3-88 46-2S-26E .040 NORTH SPRINGFIELD TERRACE LOT 1,N 2FT LOT 2 BLK 3

Name in which assessed: GOODHOMES OF N E FL INC AS TRUSTEE FOR TRUST RE #135025-0000, GOODHOMES OF N E FL INC, GOODHOMES OF N E FL INC c/o NATHAN ALEXANDER, REGISTERED AGENT, GOODHOMES OF N E FL INC AS TRUSTEE FOR TRUST RE #135025-0000 Said property being in the County of Duval, State of Florida. Unless such certificate shall be redeemed according to law the property described in such certificate shall be sold to the highest bidder at www.Duval. RealTaxDeed.com, on the 11th day of October, 2023. The auction for this date will begin at 8:00 am and continue until the entire auction calendar is exhausted.

Dated the 7th day of August, 2023

JODY PHILLIPS Clerk of Circuit Court of Duval County, Florida By:

NOTICE OF APPLICATION FOR TAX DEED

NOTICE IS HEREBY GIVEN, that IZIA ROKOSZ the holder of the following certificate has filed said certificate for a tax deed to be issued thereon. The certificate number and year of issuance, the description of the property, and the names in which it was assessed are as follows:

Certificate No: 14193

Year of Issuance: 2016

Description of Property: AJ-725 56-2S-26E .055 WEST LEWISVILLE PT LOT 1 RECD O/R BK 7316-514 BLOCK 15 Name in which assessed: TEQUANA DENEASE GRUBBS, ROSA LEE GRUBBS Said property being in the County of Duval, State of Florida. Unless such certificate shall be redeemed according to law the property described in such certificate shall be sold to the highest bidder at www.Duval. RealTaxDeed.com, on the 11th day of October, 2023. The auction for this date will begin at 8:00 am and continue until the entire auction calendar is exhausted.

Dated the 7th day of August, 2023

JODY PHILLIPS Clerk of Circuit Court of Duval County, Florida By: GK Griffin Deputy Clerk (Seal) Sep. 7/14/21/28 00 (23-05959D)

NOTICE OF APPLICATION FOR TAX DEED

NOTICE IS HEREBY GIVEN, that IZIA ROKOSZ the holder of the following certificate has filed said certificate for a tax deed to be issued thereon. The certificate number and year of issuance, the description of the property, and the names in which it was assessed are as follows:

Certificate No: 20508

Year of Issuance: 2020

Description of Property: 22-74 30-2S-28E .242 NOTTINGHAM FOREST UNIT 02 W 75FT OF E 512FT OF LOT 23 BLK 12

Name in which assessed: LOUIE M BARNETT TRUSTEE, ERMA N BARNETT AS TRUSTEE Said property being in the County of Duval, State of Florida. Unless such certificate shall be redeemed according to law the property described in such certificate shall be sold to the highest bidder at www.Duval. RealTaxDeed.com, on the 11th day of October, 2023. The auction for this date will begin at 8:00 am and continue until the entire auction calendar is exhausted.

Dated the 7th day of August, 2023

JODY PHILLIPS Clerk of Circuit Court of Duval County, Florida

By: GK Griffin Deputy Clerk (Seal) Sep. 7/14/21/28 00 (23-05948D)

NOTICE OF APPLICATION FOR TAX DEED

NOTICE IS HEREBY GIVEN, that MIKON FINANICAL SERVICES INC A the holder of the following certificate has filed said certificate for a tax deed to be issued thereon. The certificate number and year of issuance, the description of the property, and the names in which it was assessed are as follows:

Certificate No: 09347

Year of Issuance: 2021

Description of Property: 3-98 40-2S-26E .11 SMITHS ALLOTMENT S 60.5FT LOTS 1,2 BLK 4 Name in which assessed: WOOD 14 LAND TRUST WITH THE TRUSTEE OF THE TRUST KNOWN AS “WOOD 14 LAND TRUST” N SUCH JULIE MONOHAN IS TRUSTEE, ROBERTO GIBSON, WOOD 14 LAND TRUST WITH THE TRUSTEE OF THE TRUST KNOWN AS “WOOD 14 LAND TRUST” N SUCH JULIE MONOHAN IS TRUSTEE, ROBERTO GIBSON Said property being in the County of Duval, State of Florida. Unless such certificate shall be redeemed according to law the property described in such certificate shall be sold to the highest bidder at www.Duval. RealTaxDeed.com, on the 11th day of October, 2023. The auction for this date will begin at 8:00 am and continue until the entire auction calendar is exhausted.

Dated the 7th day of August, 2023 JODY PHILLIPS Clerk of Circuit Court of Duval County,

NOTICE OF APPLICATION FOR TAX DEED NOTICE IS HEREBY GIVEN, that IZIA ROKOSZ the holder of the following certificate has filed said certificate for a tax deed to be issued thereon. The certificate number and year of issuance, the description of the property, and the names in which it was assessed are as follows:

Certificate No: 15641

Said property being in the County of Duval, State of Florida. Unless such certificate shall be redeemed according to law the property described in such certificate shall be sold to the highest bidder at www.Duval. RealTaxDeed.com, on the 11th day of October, 2023. The auction for this date will begin at 8:00 am and continue until the entire auction calendar is exhausted.

Dated the 7th day of August, 2023

JODY PHILLIPS Clerk of Circuit Court of Duval County, Florida By: GK Griffin Deputy Clerk (Seal) Sep. 7/14/21/28 00 (23-05960D)

NOTICE OF APPLICATION FOR TAX DEED

NOTICE IS HEREBY GIVEN, that IZIA ROKOSZ the holder of the following certificate has filed said certificate for a tax deed to be issued thereon. The certificate number and year of issuance, the description of the property, and the names in which it was assessed are as follows:

Certificate No: 20510

Year of Issuance: 2020

Description of Property: 22-074 30-2S-28E NOTTINGHAM FOREST UNIT 2 PT LOT 1 RECD D BK 1654564 BLK 13

Name in which assessed:

WILLIAM C DICKERSON , NADINE J DICKERSON

Said property being in the County of Duval, State of Florida. Unless such certificate shall be redeemed according to law the property described in such certificate shall be sold to the highest bidder at www.Duval. RealTaxDeed.com, on the 11th day of October, 2023. The auction for this date will begin at 8:00 am and continue until the entire auction calendar is exhausted.

Dated the 7th day of August, 2023

JODY PHILLIPS Clerk of Circuit Court of Duval County, Florida

By: GK Griffin Deputy Clerk (Seal) Sep. 7/14/21/28 00 (23-05949D)

NOTICE OF APPLICATION FOR TAX DEED

NOTICE IS HEREBY GIVEN, that AGTC INVESTMENTS, LLC OCEAN BANK the holder of the following certificate has filed said certificate for a tax deed to be issued thereon. The certificate number and year of issuance, the description of the property, and the names in which it was assessed are as follows:

Certificate No: 01361

Year of Issuance: 2021

Description of Property: 5-93 35-2S-25E 9.46 JACKSONVILLE HEIGHTS TRACT 10 (EX PT IN ST RD) BLK 4 BEING PARCEL 2

Name in which assessed: LIFE THROUGH THE WORD MINISTRY INTERNATIONAL, INC, LIFE THROUGH THE WORD MINISTRY INTERNATIONAL, INC. c/o THERESA G STANFORD, REGISTERED AGENT, LIFE THROUGH THE WORD MINISTRY INTERNATIONAL INC

Said property being in the County of Duval, State of Florida. Unless such certificate shall be redeemed according to law the property described in such certificate shall be sold to the highest bidder at www.Duval. RealTaxDeed.com, on the 11th day of October, 2023. The auction for this date will begin at 8:00 am and continue until the entire auction calendar is exhausted.

Dated the 7th day of August, 2023 JODY PHILLIPS Clerk of Circuit Court of Duval County, Florida

By: GK Griffin Deputy Clerk (Seal) Sep. 7/14/21/28 00 (23-05742D)

NOTICE OF APPLICATION FOR TAX DEED NOTICE IS HEREBY GIVEN, that IZIA ROKOSZ the holder of the following certificate has filed said certificate for a tax deed to be issued thereon. The certificate number and year of issuance, the description of the property, and the names in which it was assessed are as follows:

Certificate No: 06371 Year of Issuance: 2017

Description of Property: 22-1S-26E RIO VISTA LOTS 39,40 BLK 124 O/R BK 4229-1021

Name in which assessed:

GEORGE T WALKER, GEORGE T WALKER, DECD

Said property being in the County of Duval, State of Florida. Unless such certificate shall be redeemed according to law the property described in such certificate shall be sold to the highest bidder at www.Duval. RealTaxDeed.com, on the 11th day of October, 2023. The auction for this date will begin at 8:00 am and continue until the entire auction calendar is exhausted. Dated the 7th day of August, 2023

JODY PHILLIPS Clerk of Circuit Court of Duval County, Florida

By: GK Griffin Deputy Clerk (Seal) Sep. 7/14/21/28 15 (23-05962D)

NOTICE OF APPLICATION FOR TAX DEED

NOTICE IS HEREBY GIVEN, that IZIA ROKOSZ the holder of the following certificate has filed said certificate for a tax deed to be issued thereon. The certificate number and year of issuance, the description of the property, and the names in which it was assessed are as follows:

Certificate No: 16468

Year of Issuance: 2021

Description of Property: 36-2S-28E .53 PT SEC 36 RECD O/R 17876-1723

Name in which assessed: PVTC HOLDINGS LLC, PVTC HOLDINGS LLC c/o MATTHEW R O’STEEN, REGISTERED AGENT Said property being in the County of Duval, State of Florida. Unless such certificate shall be redeemed according to law the property described in such certificate shall be sold to the highest bidder at www.Duval. RealTaxDeed.com, on the 11th day of October, 2023. The auction for this date will begin at 8:00 am and continue until the entire auction calendar is exhausted.

Dated the 7th day of August, 2023

JODY PHILLIPS Clerk of Circuit Court of Duval County, Florida

By: GK Griffin Deputy Clerk (Seal) Sep. 7/14/21/28 00 (23-05944D)

NOTICE OF APPLICATION FOR TAX DEED

NOTICE IS HEREBY GIVEN, that TALEEN KHZOUZ the holder of the following certificate has filed said certificate for a tax deed to be issued thereon. The certificate number and year of issuance, the description of the property, and the names in which it was assessed are as follows:

Certificate No: 09433

Year of Issuance: 2016

Description of Property: 11-50 10-2S-26E LINCOLN PLACE LOT 16 BLK 11 Name in which assessed: JOHN W HARMON, QUEENIE M ROBINSON, KATIE M KEIL, JACK E HARMON, RUFUS A HARMON, ALFRED L HARMON , REGINALD B HARMON, ARTHUR B HARMON , QUEENIE M ROBINSON ESTATE , KATIE KEIL, JACK E HARMON, RUFUS A HARMON, MARY M HARMON, ALFRED L HARMON, MICHELLE Y HARMON, REGINALD B HARMON, ARTHUR B HARMON Said property being in the County of Duval, State of Florida. Unless such certificate shall be redeemed according to law the property described in such certificate shall be sold to the highest bidder at www.Duval. RealTaxDeed.com, on the 11th day of October, 2023. The auction for this date will begin at 8:00 am and continue until the entire auction calendar is exhausted.

Dated the 7th day of August, 2023 JODY PHILLIPS Clerk of Circuit Court of Duval County, Florida

16C THURSDAY, SEPTEMBER 14, 2023 JACKSONVILLE DAILY RECORD
DUVAL COUNTY • SUBSEQUENT INSERTIONS SECOND INSERTION SECOND INSERTION SECOND INSERTION SECOND INSERTION SECOND INSERTION SECOND INSERTION SECOND INSERTION SECOND INSERTION SECOND INSERTION SECOND INSERTION SECOND INSERTION SECOND INSERTION
PUBLIC NOTICES
By: GK Griffin Deputy Clerk (Seal) Sep. 7/14/21/28 00
County, Florida
(23-05873D)
GK Griffin Deputy Clerk (Seal) Sep. 7/14/21/28 15 (23-05879D)
By:
Griffin Deputy
(Seal) Sep. 7/14/21/28 00 (23-05961D) SECOND INSERTION SECOND INSERTION SECOND INSERTION SECOND INSERTION SECOND INSERTION SECOND INSERTION
GK
Clerk
follows: Certificate No: 16173 Year of Issuance: 2017 Description of Property: Q-443 13-2S-26E OAKLAND W1/2 OF E1/2 LOT 39 BLK 5 Name in which assessed: ORPHAN
TRUST ODESSA ORPHAN PROPERTIES
Year of Issuance: 2017 Description of Property: 2-21 07-2S-26E .076 CAMPBELLS ADDN TO JAX N 38FT OF W 80FT,S 12FT OF E22FT W 42FT LOT 2 BLK 27 Name in which assessed: JOHN O THOMPSON
By: GK Griffin Deputy Clerk (Seal) Sep. 7/14/21/28 00
Florida
(23-05758D)

NOTICE OF APPLICATION FOR TAX DEED

NOTICE IS HEREBY GIVEN, that IZIA ROKOSZ the holder of the following certificate has filed said certificate for a tax deed to be issued thereon. The certificate number and year of issuance, the description of the property, and the names in which it was assessed are as follows:

Certificate No: 09143

Year of Issuance: 2017

Description of Property: 11-50 10-2S-26E .072 LINCOLN PLACE LOT 12 BLK 10

Name in which assessed: MICHAEL A BAILEY , FREDDIE BAILEY A/K/A FREDDIE L BAILEY

Said property being in the County of Duval, State of Florida. Unless such certificate shall be redeemed according to law the property described in such certificate shall be sold to the highest bidder at www.Duval. RealTaxDeed.com, on the 11th day of October, 2023. The auction for this date will begin at 8:00 am and continue until the entire auction calendar is exhausted.

Dated the 7th day of August, 2023 JODY PHILLIPS Clerk of Circuit Court of Duval County, Florida

By: GK Griffin Deputy Clerk (Seal) Sep. 7/14/21/28 14 (23-05922D)

NOTICE OF APPLICATION FOR TAX DEED

NOTICE IS HEREBY GIVEN, that IZIA ROKOSZ the holder of the following certificate has filed said certificate for a tax deed to be issued thereon. The certificate number and year of issuance, the description of the property, and the names in which it was assessed are as follows:

Certificate No: 06286

Year of Issuance: 2020

Description of Property: 10-22 40-1S-26E .057 R/P PT

RIO VISTA LOT 16 BLK 101

Name in which assessed:

GLADYS THORNTON, ERNEST THORNTON

Said property being in the County of Duval, State of Florida. Unless such certificate shall be redeemed according to law the property described in such certificate shall be sold to the highest bidder at www.Duval. RealTaxDeed.com, on the 11th day of October, 2023. The auction for this date will begin at 8:00 am and continue until the entire auction calendar is exhausted.

Dated the 7th day of August, 2023 JODY PHILLIPS Clerk of Circuit Court of Duval County, Florida

By: GK Griffin Deputy Clerk (Seal) Sep. 7/14/21/28 00 (23-05964D)

NOTICE OF APPLICATION FOR TAX DEED

NOTICE IS HEREBY GIVEN, that IZIA ROKOSZ the holder of the following certificate has filed said certificate for a tax deed to be issued thereon. The certificate number and year of issuance, the description of the property, and the names in which it was assessed are as follows:

Certificate No: 15269

Year of Issuance: 2019

Description of Property:

4-18 07-2S-27 .05 PACES S 30FT LOT 4

Name in which assessed: CLARENCE BAKER c/o CYNTHIA L NICHOLS, PERSONAL REPRESENTATIVE, ROSE WALKER c/o CYNTHIA L NICHOLS. PERSONAL REPRESENTATIVE, JAMIE WALKER c/o CYNTHIA L NICHOLS, PERSONAL REPRESENTATIVE

Said property being in the County of Duval, State of Florida. Unless such certificate shall be redeemed according to law the property described in such certificate shall be sold to the highest bidder at www.Duval. RealTaxDeed.com, on the 11th day of October, 2023. The auction for this date will begin at 8:00 am and continue until the entire auction calendar is exhausted.

2023

Dated the 7th day of August,

JODY PHILLIPS Clerk of Circuit Court of Duval County, Florida

By: GK Griffin Deputy Clerk (Seal) Sep. 7/14/21/28 14 (23-05958D)

NOTICE OF APPLICATION FOR TAX DEED

NOTICE IS HEREBY GIVEN, that IZIA ROKOSZ the holder of the following certificate has filed said certificate for a tax deed to be issued thereon. The certificate number and year of issuance, the description of the property, and the names in which it was assessed are as follows:

Certificate No: 11781

Year of Issuance: 2017

Description of Property: 10-2S-26E SMITHS ALLOTMENT PT LOT 1 RECD D BK 1681-527 BLK 9

Name in which assessed: J.H. WATERMAN , J.H. WATERMAN Said property being in the County of Duval, State of Florida. Unless such certificate shall be redeemed according to law the property described in such certificate shall be sold to the highest bidder at www.Duval. RealTaxDeed.com, on the 11th day of October, 2023. The auction for this date will begin at 8:00 am and continue until the entire auction calendar is exhausted.

Dated the 7th day of August, 2023

JODY PHILLIPS Clerk of Circuit Court of Duval County, Florida

By: GK Griffin Deputy Clerk (Seal) Sep. 7/14/21/28 00 (23-05913D)

NOTICE OF APPLICATION FOR TAX DEED

NOTICE IS HEREBY GIVEN, that IZIA ROKOSZ the holder of the following certificate has filed said certificate for a tax deed to be issued thereon. The certificate number and year of issuance, the description of the property, and the names in which it was assessed are as follows:

Certificate No: 15844

Year of Issuance: 2018

Description of Property: Q-443 13-2S-26E OAKLAND PT LOTS 43,44 RECD O/R 95121826 BLK 5

Name in which assessed: SUZANNE M BROOM

Said property being in the County of Duval, State of Florida. Unless such certificate shall be redeemed according to law the property described in such certificate shall be sold to the highest bidder at www.Duval. RealTaxDeed.com, on the 11th day of October, 2023. The auction for this date will begin at 8:00 am and continue until the entire auction calendar is exhausted.

Dated the 7th day of August, 2023 JODY PHILLIPS Clerk of Circuit Court of Duval County, Florida By: GK Griffin Deputy Clerk (Seal) Sep. 7/14/21/28 00 (23-05954D)

NOTICE OF APPLICATION FOR TAX DEED

NOTICE IS HEREBY GIVEN, that IZIA ROKOSZ the holder of the following certificate has filed said certificate for a tax deed to be issued thereon. The certificate number and year of issuance, the description of the property, and the names in which it was assessed are as follows: Certificate No: 15535

Year of Issuance: 2017

Description of Property: 2-21 07-2S-26E CAMPBELLS ADDN TO JAX E 36FT LOT 14 BLK 5 Name in which assessed: ATLANTIS PROPERTY INVESTMENTS LTD CO, ATLANTIS PROPERTY INVESTMENTS LTD CO, ATLANTIS PROPERTY INVESTMENTS LTD CO c/o ROBERT J EVERETT, REGISTERED AGENT

Said property being in the County of Duval, State of Florida. Unless such certificate shall be redeemed according to law the property described in such certificate shall be sold to the highest bidder at www.Duval. RealTaxDeed.com, on the 11th day of October, 2023. The auction for this date will begin at 8:00 am and continue until the entire auction calendar is exhausted.

Dated the 7th day of August, 2023 JODY PHILLIPS Clerk of Circuit Court of Duval County, Florida By: GK Griffin Deputy Clerk (Seal) Sep. 7/14/21/28 00 (23-05950D)

NOTICE OF APPLICATION FOR TAX DEED

NOTICE IS HEREBY GIVEN, that IZIA ROKOSZ the holder of the following certificate has filed said certificate for a tax deed to be issued thereon. The certificate number and year of issuance, the description of the property, and the names in which it was assessed are as follows:

Certificate No: 07628

Year of Issuance: 2018

Description of Property: 02-2S-26E WHEELERS ADDN TO JAX N1/2 LOT 134,LOT 135 BY DESCENT D BK 1040-380

Name in which assessed: MOSES JENKINS , VIOLA JENKINS

Said property being in the County of Duval, State of Florida. Unless such certificate shall be redeemed according to law the property described in such certificate shall be sold to the highest bidder at www.Duval. RealTaxDeed.com, on the 11th day of October, 2023. The auction for this date will begin at 8:00 am and continue until the entire auction calendar is exhausted.

Dated the 7th day of August, 2023 JODY PHILLIPS Clerk of Circuit Court of Duval County, Florida By: GK Griffin Deputy Clerk (Seal) Sep. 7/14/21/28 00 (23-05924D)

NOTICE OF APPLICATION FOR TAX DEED

NOTICE IS HEREBY GIVEN, that IZIA ROKOSZ the holder of the following certificate has filed said certificate for a tax deed to be issued thereon. The certificate number and year of issuance, the description of the property, and the names in which it was assessed are as follows:

Certificate No: 07613

Year of Issuance: 2019

Description of Property: 3-89 GRAND BLVD E 29FT OF W 34FT LOT 5 BLK 12

Name in which assessed:

ELIZA M. DAVIS , NORVAL DAVIS

Said property being in the County of Duval, State of Florida. Unless such certificate shall be redeemed according to law the property described in such certificate shall be sold to the highest bidder at www.Duval. RealTaxDeed.com, on the 11th day of October, 2023. The auction for this date will begin at 8:00 am and continue until the entire auction calendar is exhausted.

Dated the 7th day of August, 2023

JODY PHILLIPS Clerk of Circuit Court of Duval County, Florida

By: GK Griffin Deputy Clerk (Seal) Sep. 7/14/21/28 00 (23-05932D)

NOTICE OF APPLICATION FOR TAX DEED

NOTICE IS HEREBY GIVEN, that IZIA ROKOSZ the holder of the following certificate has filed said certificate for a tax deed to be issued thereon. The certificate number and year of issuance, the description of the property, and the names in which it was assessed are as follows:

Certificate No: 16651

Year of Issuance: 2018

Description of Property: 06-2S-27E CURTIS & MCCUENS S/D LOT 1 BLK D LONG BRANCH E1/2 LOT 38 BLK 2

Name in which assessed: BEATRICE SHERMAN , ESTATE OF BEATRICE SHERMAN, DECEASED c/o JUNE SHENKMAN, PERSONAL REP, ESTHER WEISS c/o JUNE SHENKMAN Said property being in the County of Duval, State of Florida. Unless such certificate shall be redeemed according to law the property described in such certificate shall be sold to the highest bidder at www.Duval. RealTaxDeed.com, on the 11th day of October, 2023. The auction for this date will begin at 8:00 am and continue until the entire auction calendar is exhausted.

Dated the 7th day of August,

NOTICE OF APPLICATION FOR TAX DEED NOTICE IS HEREBY GIVEN, that IZIA ROKOSZ the holder of the following certificate has filed said certificate for a tax deed to be issued thereon. The certificate number and year of issuance, the description of the property, and the names in which it was assessed are as follows:

Certificate No: 20821

Year of Issuance: 2016

Description of Property: 25-84 43-4S-27E HOODS SUBDIVISION PT LOTS 2 TO 4 RECD O/R BK 55981412

Name in which assessed:

FREDDY E FARAH

Said property being in the County of Duval, State of Florida. Unless such certificate shall be redeemed according to law the property described in such certificate shall be sold to the highest bidder at www.Duval. RealTaxDeed.com, on the 11th day of October, 2023. The auction for this date will begin at 8:00 am and continue until the entire auction calendar is exhausted.

Dated the 7th day of August, 2023 JODY PHILLIPS Clerk of Circuit Court of Duval County, Florida

By: GK Griffin Deputy Clerk (Seal) Sep. 7/14/21/28 00 (23-05937D)

NOTICE OF APPLICATION FOR TAX DEED

NOTICE IS HEREBY GIVEN, that IZIA ROKOSZ the holder of the following certificate has filed said certificate for a tax deed to be issued thereon. The certificate number and year of issuance, the description of the property, and the names in which it was assessed are as follows:

Certificate No: 15195

Year of Issuance: 2016

Description of Property: 13-4S-26E 4.5 PT LOTS 2,3 RECD O/R 3112-494 0/R 6486-1033

Name in which assessed:

GREGORY L DURRANCE

Said property being in the County of Duval, State of Florida. Unless such certificate shall be redeemed according to law the property described in such certificate shall be sold to the highest bidder at www.Duval. RealTaxDeed.com, on the 11th day of October, 2023. The auction for this date will begin at 8:00 am and continue until the entire auction calendar is exhausted.

Dated the 7th day of August, 2023

JODY PHILLIPS Clerk of Circuit Court of Duval County, Florida

By: GK Griffin Deputy Clerk (Seal) Sep. 7/14/21/28 00 (23-05940D)

NOTICE OF APPLICATION FOR TAX DEED

NOTICE IS HEREBY GIVEN, that SAVVY FL LLC FIRST HORIZON COLLATERAL ASSIG the holder of the following certificate has filed said certificate for a tax deed to be issued thereon. The certificate number and year of issuance, the description of the property, and the names in which it was assessed are as follows: Certificate No: 04144

Year of Issuance: 2021

Description of Property: 39-1S-26E .516 SIBBALD GRANT PT RECD O/R 9558-2419

Name in which assessed:

DHC MAINTENANCE SERVICES INC, DHC MAINTENANCE SERVICES INC c/o DAVID P DENNIS, REGISTERED AGENT, DHC MAINTENANCE SERVICES INC

Said property being in the County of Duval, State of Florida. Unless such certificate shall be redeemed according to law the property described in such certificate shall be sold to the highest bidder at www.Duval. RealTaxDeed.com, on the 11th day of October, 2023. The auction for this date will begin at 8:00 am and continue until the entire auction calendar is exhausted.

Dated the 7th day of August, 2023

JODY PHILLIPS Clerk of Circuit Court of Duval County, Florida By: GK Griffin Deputy Clerk (Seal) Sep. 7/14/21/28 00 (23-05842D)

NOTICE OF APPLICATION FOR TAX DEED

NOTICE IS HEREBY GIVEN, that IZIA ROKOSZ the holder of the following certificate has filed said certificate for a tax deed to be issued thereon. The certificate number and year of issuance, the description of the property, and the names in which it was assessed are as follows:

Certificate No: 14668

Year of Issuance: 2020

Description of Property: 38-50 14-4S-26E RIVERGATE UNIT TWO TRACT A(EX W 60FT)

Name in which assessed:

LARRY DEAN AS TRUSTEE OF LAND TRUST #105744-5302

Said property being in the County of Duval, State of Florida. Unless such certificate shall be redeemed according to law the property described in such certificate shall be sold to the highest bidder at www.Duval. RealTaxDeed.com, on the 11th day of October, 2023. The auction for this date will begin at 8:00 am and continue until the entire auction calendar is exhausted.

Dated the 7th day of August, 2023 JODY PHILLIPS Clerk of Circuit Court of Duval County, Florida

By: GK Griffin Deputy Clerk (Seal) Sep. 7/14/21/28 00 (23-05943D)

NOTICE OF APPLICATION FOR TAX DEED

NOTICE IS HEREBY GIVEN, that IZIA ROKOSZ the holder of the following certificate has filed said certificate for a tax deed to be issued thereon. The certificate number and year of issuance, the description of the property, and the names in which it was assessed are as follows:

Certificate No: 07866

Year of Issuance: 2019

Description of Property: 03-2S-26E EAST GRAND PARK W 20FT LOT 7 BLK 25 O/R BKS 6741-1091, 7100-1293

Name in which assessed: JOYCE M. CURRY

Said property being in the County of Duval, State of Florida. Unless such certificate shall be redeemed according to law the property described in such certificate shall be sold to the highest bidder at www.Duval. RealTaxDeed.com, on the 11th day of October, 2023. The auction for this date will begin at 8:00 am and continue until the entire auction calendar is exhausted.

Dated the 7th day of August, 2023 JODY PHILLIPS Clerk of Circuit Court of Duval County, Florida

By: GK Griffin Deputy Clerk (Seal) Sep. 7/14/21/28 00 (23-05930D)

NOTICE OF APPLICATION FOR TAX DEED

NOTICE IS HEREBY GIVEN, that FLORIDA TAX LIEN LLC AND OCEAN BANK the holder of the following certificate has filed said certificate for a tax deed to be issued thereon. The certificate number and year of issuance, the description of the property, and the names in which it was

assessed are as follows:

Certificate No: 06767

Year of Issuance: 2021

Description of Property: 12-9 08-2S-26E BILTMORE E 22.39FT LOT 16,LOT 17,W 1.74FT LOT 18 BLK 7

Name in which assessed: RIVER CITY LAND HOLDINGS, LLC, RIVER CITY LAND HOLDINGS, LLC, RIVER CITY LAND HOLDINGS, LLC c/o SABINA J GERACI, REGISTERED AGENT , RIVER CITY LAND HOLDINGS, LLC

Said property being in the County of Duval, State of Florida. Unless such certificate shall be redeemed according to law the property described in such certificate shall be sold to the highest bidder at www.Duval. RealTaxDeed.com, on the 11th day of October, 2023. The auction for this date will begin at 8:00 am and continue until the entire auction calendar is exhausted.

Dated the 7th day of August,

2023 JODY PHILLIPS Clerk of Circuit Court of Duval County, Florida

By: GK Griffin Deputy Clerk

NOTICE OF APPLICATION FOR TAX DEED

NOTICE IS HEREBY GIVEN, that IZIA ROKOSZ the holder of the following certificate has filed said certificate for a tax deed to be issued thereon. The certificate number and year of issuance, the description of the property, and the names in which it was assessed are as follows:

Certificate No: 13383 Year of Issuance: 2021 Description of Property: 18-94 32-2S-27E SPRINGDALE S/D PT LOT 7 RECD O/R BK 5654-1359 BLK 7 Name in which assessed: WILLARD C AMES c/o SANDRA AMES, SANDRA AMES Said property being in the County of Duval, State of Florida. Unless such certificate shall be redeemed according to law the property described in such certificate shall be sold to the highest bidder at www.Duval. RealTaxDeed.com, on the 11th day of October, 2023. The auction for this date will begin at 8:00 am and continue until the entire auction calendar is exhausted.

Dated the 7th day of August, 2023 JODY PHILLIPS Clerk of Circuit Court of Duval County, Florida By: GK Griffin Deputy Clerk (Seal) Sep. 7/14/21/28 14 (23-05946D)

NOTICE OF APPLICATION FOR TAX DEED

NOTICE IS HEREBY GIVEN, that IZIA ROKOSZ the holder of the following certificate has filed said certificate for a tax deed to be issued thereon. The certificate number and year of issuance, the description of the property, and the names in which it was assessed are as follows:

Certificate No: 07434

Year of Issuance: 2021

Description of Property: 4-77 02 2S 26E .063 HENDERSONVILLE PT LOT 1 RECD O/R 9091-586 BLK 16

Name in which assessed: VLADIMIR KISELEV Said property being in the County of Duval, State of Florida. Unless such certificate shall be redeemed according to law the property described in such certificate shall be sold to the highest bidder at www.Duval. RealTaxDeed.com, on the 11th day of October, 2023. The auction for this date will begin at 8:00 am and continue until the entire auction calendar is exhausted.

Dated the 7th day of August, 2023 JODY PHILLIPS Clerk of Circuit Court of Duval County, Florida

By: GK Griffin Deputy Clerk (Seal) Sep. 7/14/21/28 00 (23-05929D)

NOTICE OF APPLICATION FOR TAX DEED NOTICE IS HEREBY GIVEN, that IDE TECHNOLOGIES INC the holder of the following certificate has filed said certificate for a tax deed to be issued thereon. The certificate number and year of issuance, the description of the property, and the names in which it was assessed are as follows:

Certificate No: 07105

Year of Issuance: 2021

Description of Property: 13-80 10-2S-26E STANDISH PLACE LOT 1(EX PT RECD D BK 1617-435)

Name in which assessed: CHURCH OF GOD IN CHRIST/ LIVING WORD OF GOD, INC., CHURCH OF GOD IN CHRIST/ LIVING WORD OF GOD, INC. c/o SPIEGEL & UTRERA, P.A., REGISTERED AGENT , CHURCH OF GOD IN CHRIST/ LIVING WORD OF GOD, INC. Said property being in the County of Duval, State of Florida. Unless such certificate shall be redeemed according to law the property described in such certificate shall be sold to the highest bidder at www.Duval. RealTaxDeed.com, on the 11th day of October, 2023. The auction for this date will begin at 8:00 am and continue until the entire auction calendar is exhausted.

Dated the 7th day of August, 2023

JODY PHILLIPS Clerk of Circuit Court of Duval County, Florida

By: GK Griffin Deputy Clerk

(Seal)

Sep. 7/14/21/28 00 (23-05864D)

THURSDAY, SEPTEMBER 14, 2023 17C JACKSONVILLE DAILY RECORD PUBLIC
DUVAL COUNTY • SUBSEQUENT INSERTIONS SECOND INSERTION SECOND INSERTION SECOND INSERTION SECOND INSERTION SECOND INSERTION SECOND INSERTION SECOND INSERTION SECOND INSERTION SECOND INSERTION SECOND INSERTION SECOND INSERTION SECOND INSERTION SECOND INSERTION SECOND INSERTION SECOND INSERTION
INSERTION SECOND INSERTION
NOTICES
SECOND INSERTION SECOND
(Seal) Sep. 7/14/21/28 14 (23-05870D)
2023 JODY PHILLIPS Clerk of Circuit Court of Duval County, Florida By: GK Griffin Deputy Clerk (Seal) Sep. 7/14/21/28 00 (23-05956D)

FIRST INSERTION NOTICE OF MEETINGS WILFORD PRESERVE COMMUNITY DEVELOPMENT DISTRICT

The Board of Supervisors of the Wilford Preserve Community Development District will hold their regularly scheduled public meetings for Fiscal Year 2024 at the Plantation Oaks Amenity Center, 845 Oakleaf Plantation Parkway, Orange Park, Florida 32065 at 1:30 p.m. on the third Tuesday of each month listed (unless notated otherwise*) as follows:

October 17, 2023

November 21, 2023

December 19, 2023

January 16, 2024

February 20, 2024

March 19, 2024

April 16, 2024

May 15, 2024 at 6:00 p.m.

(*Third Wednesday)

June 18, 2024

July 17, 2024 at 6:00 p.m.

(*Third Wednesday)

August 20, 2024

September 17, 2024

The meetings are open to the public and will be conducted in accordance with the provision of Florida Law for Community Development Districts. The meetings may be continued to a date, time, and place to be specified on the record at the meeting. Copies of the agendas for these meet-

CLAY COUNTY LEGAL NOTICES

ings may be obtained from Governmental Management Services, LLC, 475 West Town Place, Suite 114, St. Augustine, Florida 32092, (904) 940-5850, or on the District’s website, www.WilfordPreserveCDD.com.

There may be occasions when one or more Supervisors or staff will participate by telephone. Pursuant to provisions of the Americans with Disabilities Act, any person requiring special accommodations at this meeting because of a disability or physical impairment should contact the District Office at (904) 940-5850 at least 48 hours prior to the meeting. If you are hearing or speech impaired, please contact the Florida Relay Service by dialing 7-1-1, or 1-800955-8771 (TTY) / 1-800-955-8770 (Voice), for aid in contacting the District Office.

A person who decides to appeal any decision made at the meeting with respect to any matter considered at the meeting is advised that person will need a record of the proceedings and that accordingly, the person may need to ensure that a verbatim record of the proceedings is made, including the testimony and evidence upon which such appeal is to be based.

Marilee Giles

District Manager Sep. 14 00 (23-00329C)

FIRST INSERTION

NOTICE OF MEETINGS MIDDLE VILLAGE COMMUNITY DEVELOPMENT DISTRICT

The Board of Supervisors of the Middle Village Community Development District will hold their regularly scheduled public meetings for Fiscal Year 2024 at 2:00 p.m. at the Plantation Oaks Amenity Center, 845 Oakleaf Plantation Parkway, Orange Park, Florida 32065 on the second Monday of each month as follows or otherwise noted:

October 9, 2023

November 13, 2023

December 11, 2023

January 8, 2024

February 12, 2024

March 11, 2024 @ 6:00 p.m.

April 8, 2024

May 13, 2024

June 10, 2024

July 8, 2024

August 19, 2024 @ 6:00 p.m.

(*third Monday)

September 9, 2024

The meetings are open to the public and will be conducted in accordance with the provisions of Florida Law for Community Development Districts. Copies of the agendas for each meeting may be obtained from the District Manager, 475 West Town Place, Suite 114, St. Augustine, Florida 32092

(and phone (904) 940-5850), or by visiting the District’s website at www.MiddleVillageCDD.com. The meetings may be continued to a date, time, and place to be specified on the record at the meetings. There may be occasions when one or more Supervisors will participate by telephone. Pursuant to provisions of the Americans with Disabilities Act, any person requiring special accommodations at these meetings because of a disability or physical impairment should contact the District Office at (904) 940-5850 at least 48 hours prior to the meeting. If you are hearing or speech impaired, please contact the Florida Relay Service by dialing 7-1-1, or 1-800-955-8771 (TTY) / 1-800-955-8770 (Voice), for aid in contacting the District Office. Each person who decides to appeal any action taken at the meetings is advised that person will need a record of the proceedings and that accordingly, the person may need to ensure that a verbatim record of the proceedings is made, including the testimony and evidence upon which such appeal is to be based.

Marilee Giles District Manager Sep. 14 00 (23-00326C)

FIRST INSERTION

NOTICE OF PUBLIC HEARINGS TO CONSIDER THE IMPOSITION OF SPECIAL ASSESSMENTS PURSUANT TO SECTIONS 170.07 AND 197.3632, FLORIDA STATUTES, BY THE WILFORD PRESERVE COMMUNITY DEVELOPMENT DISTRICT

NOTICE OF MEETING OF THE WILFORD PRESERVE COMMUNITY DEVELOPMENT DISTRICT

In accordance with Chapters 170, 190 and 197, Florida Statutes, the Wilford Preserve Community Development District’s (“District”) Board of Supervisors (“Board”) hereby provides notice of the following public hearings and public meeting:

NOTICE OF PUBLIC HEARINGS

DATE: October 17, 2023

TIME: 1:30 p.m.

LOCATION: Plantation Oaks Amenity Center 845 Oakleaf Plantation Pkwy. Orange Park, Florida 32065

The purpose of the public hearings announced above is to consider the imposition of special assessments (“Debt Assessments”), and adoption of assessment rolls to secure proposed bonds, on benefited lands within the District, and, to provide for the levy, collection and enforcement of the Debt Assessments. The proposed bonds secured by the Debt Assessments are intended to finance certain public infrastructure improvements, including, but not limited to, stormwater management, water, wastewater and reuse water utilities, roadways and sidewalks, recreational areas, hardscape, entry features, landscape, and buffering, and other infrastructure improvements (together, “Project”), benefitting certain lands within the District. The Project is described in more detail in the Supplemental Engineering Report for Wilford Preserve Phase IV, dated August 9, 2023 (“Engineer’s Report”). Specifically, the Project includes public infrastructure benefitting the “Phase 4” property, also known as the “Expansion Parcel,” within the District, as identified in the Engineer’s Report. The Debt Assessments are proposed to be levied as one or more assessment liens and allocated to the benefitted lands within the assessment area, as set forth in the Supplemental Special Assessment Methodology Report for Assessment Area IV, dated August 17, 2023 (“Assessment Report”). At the conclusion of the public hearings, the Board will, by resolution, levy and impose assessments as finally approved by the Board. A regular meeting of the District will also be held where the Board may consider any other business that may properly come before it.

As amended, the District is located entirely within the unincorporated boundaries of Clay County, Florida, and is located North of Kindlewood Drive, west of Little Black Creek, east of Cheswick Oak Avenue and south of Spencer Plantation Boulevard. A geographic depiction of the District is shown below. The Expansion Parcel is expected to be improved in accordance with the reports identified above.

A description of the property to be assessed and the amount to be assessed to each piece or parcel of property may be ascertained at the “District’s Office” located at c/o Governmental Management Services, LLC, 475 West Town Place, Suite 114, St. Augustine, Florida 32092 Phone 904-940-5850. Also, a copy of the agendas and other documents referenced herein may be obtained from the District Office.

The proposed Debt Assessments for the Expansion Parcel are as follows:

*Includes 2% Clay County collection cost and maximum early payment discount of 4%

The assessments shall be paid in not more than thirty (30) annual installments subsequent to the issuance of debt to finance the improvements. These annual assessments will be collected on the County tax roll by the Tax Collector. Alternatively, the District may choose to directly collect and enforce these assessments. The public hearings and meeting are open to the public and will be conducted in accordance with Florida law. The public hearings and meeting may be continued to a date, time, and place to be specified on the record. There may be occasions when staff or board members may participate by speaker telephone. Any person requiring special accommodations because of a disability or physical impairment should contact the District Office at least forty-eight (48) hours prior to the meeting. If you are hearing or speech impaired, please contact the Florida Relay Service by dialing 7-1-1, or 1-800-955-8771 (TTY) / 1-800-955-8770 (Voice), for aid in contacting the District Office.

Please note that all affected property owners have the right to appear and comment at the public hearings and meeting and may also file written objections with the District Office within twenty (20) days of issuance of this notice. Each person who decides to appeal any decision made by the Board with respect to any matter considered at the public hearings or meeting is advised that person will need a record of proceedings and that accordingly, the person may need to ensure that a verbatim record of the proceedings is made, including the testimony and evidence upon which such appeal is to be based. Marilee Giles

District Manager RESOLUTION 2023-16

[DECLARING RESOLUTION – BOUNDARY AMENDMENT]

A RESOLUTION OF THE BOARD OF SUPERVISORS OF THE WILFORD PRESERVE COMMUNITY DEVELOPMENT DISTRICT DECLARING SPECIAL ASSESSMENTS FOR A BOUNDARY AMENDMENT PARCEL; DESIGNATING THE NATURE AND LOCATION OF THE PROPOSED IMPROVEMENTS; DECLARING THE TOTAL ESTIMATED COST OF THE IMPROVEMENTS, THE PORTION TO BE PAID BY ASSESSMENTS, AND THE MANNER AND TIMING IN WHICH THE ASSESSMENTS ARE TO BE PAID; DESIGNATING THE LANDS UPON WHICH THE ASSESSMENTS SHALL BE LEVIED; PROVIDING FOR AN ASSESSMENT PLAT AND A PRELIMINARY ASSESSMENT ROLL; ADDRESSING THE SETTING OF PUBLIC HEARINGS; PROVIDING FOR PUBLICATION OF THIS RESOLUTION; AND ADDRESSING CONFLICTS, SEVERABILITY AND AN EFFECTIVE DATE.

FIRST INSERTION

IN THE CIRCUIT COURT FOR CLAY COUNTY, FLORIDA PROBATE DIVISION

File No. 2023-CP-000441

Division B

IN RE: ESTATE OF MARY JANE ROLLES

Deceased.

NOTICE TO CREDITORS

The administration of the estate of Mary Jane Rolles, deceased, whose date of death was July 9, 2023, is pending in the Circuit Court for Clay County, Florida, Probate Division, the address of which is 825 North Orange Avenue, PO Box 698, Green Cove Springs, Florida 32043. The names and addresses of the personal representative and the personal representative’s attorney are set forth below.

All creditors of the decedent and other persons having claims or demands against decedent’s estate on whom a copy of this notice is required to be served must file their claims with this court ON OR BEFORE THE LATER OF 3 MONTHS AFTER THE TIME OF THE FIRST PUBLICATION OF THIS NOTICE OR 30 DAYS AFTER THE DATE OF SERVICE OF A COPY OF THIS NOTICE ON THEM.

All other creditors of the decedent and other persons hav-

ing claims or demands against decedent’s estate must file their claims with this court WITHIN 3 MONTHS AFTER THE DATE OF THE FIRST PUBLICATION OF THIS NOTICE.

ALL CLAIMS NOT FILED WITHIN THE TIME PERIODS SET FORTH IN FLORIDA STATUTES SECTION 733.702 WILL BE FOREVER BARRED. NOTWITHSTANDING THE TIME PERIODS SET FORTH ABOVE, ANY CLAIM FILED TWO (2) YEARS OR MORE AFTER THE DECEDENT’S DATE OF DEATH IS BARRED. The date of first publication of this notice is September 14, 2023.

Personal Representative: John H. Rolles 618 Buckingham Drive Northampton, Pennsylvania 18067 Attorney for Personal Representative: Thomas J. Upchurch, Esquire Florida Bar No. 0015821 Upchurch Law 1616 Concierge Blvd., Suite 101 Daytona Beach, Florida 32117 Telephone: (386) 492-3871

Email: service@upchurchlaw.com

2nd Email: clutes@upchurchlaw.com Sep. 14/21 00 (23-00322C)

WHEREAS, the Wilford Preserve Community Development District (“District”) is a local unit of specialpurpose government organized and existing under and pursuant to Chapter 190, Florida Statutes; and WHEREAS, the District is authorized by Chapter 190, Florida Statutes, to finance, fund, plan, establish, acquire, install, equip, operate, extend, construct, or reconstruct infrastructure projects and services necessitated by the development of, and serving lands within, the District; and

WHEREAS, on April 12, 2018, and after notice and a public hearing, the District’s Board of Supervisors adopted Resolution 2018-09 and determined to undertake, install, plan, establish, construct or reconstruct, enlarge or extend, equip, acquire, operate, and/or maintain the District’s overall capital improvement plan as described in the Engineering Report, dated February 23, 2018 (the “Project”); and

WHEREAS, as part of Resolution 2018-09, the District determined that it is in the best interest of the District to pay for all or a portion of the cost of the Project by the levy of special assessments (“Assessments”) using the methodology set forth in that Master Special Assessment Methodology Report, dated March 5, 2018; and

WHEREAS, on July 11, 2023, and at the request of the District’s Board of Supervisors, Clay County adopted Ordinance No. 2023-22, expanding the District’s boundaries to include a “Boundary Amendment Parcel;” and

WHEREAS, in order to account for the Boundary Amendment Parcel as part of the Project, the District’s Engineer has now prepared its Supplemental Engineering Report for Wilford Preserve Phase IV, dated August 9, 2023 (together with the Engineering Report, dated February 23, 2018, and the Amended and Restated Second Supplemental Engineering Report, dated August 19, 2019, the “Engineer’s Report”), and attached hereto as Exhibit A, and the District’s Assessment Consultant has prepared its Supplemental Special Assessment Methodology Report for Assessment Area IV, dated August 17, 2023 (together with the Master Special Assessment Methodology Report, dated March 5, 2018, the “Assessment Report”), and attached hereto as Exhibit B; and WHEREAS, on the basis of the Engineer’s Report and Assessment Report, the District now desires to levy the Assessments on the Boundary Amendment Parcel; and NOW, THEREFORE, BE IT RESOLVED BY THE BOARD OF SUPERVISORS OF THE WILFORD PRESERVE COMMUNITY DEVELOPMENT DISTRICT:

1. AUTHORITY FOR THIS RESOLUTION; INCORPORATION OF RECITALS. This Resolution is adopted pursuant to the provisions of Florida law, including without limitation Chapters 170, 190 and 197, Florida Statutes. The recitals stated above are incorporated herein and are adopted by the Board as true and correct statements.

2. DECLARATION OF ASSESSMENTS. The Board hereby declares that, with respect to the Boundary Amendment Parcel, the Board has determined to undertake the Project and to defray a portion of the cost thereof by the Assessments.

3. DESIGNATING THE NATURE AND LOCATION OF IMPROVEMENTS. The nature and general location of, and plans and specifications for the Project, including the portion that relates to the Boundary Amendment Parcel, are described in Exhibit A, which is on file at the District Records Office. Exhibit B is also on file and available for public inspection at the same location.

4. DECLARING THE TOTAL ESTIMATED COST OF THE IMPROVEMENTS, THE PORTION TO BE PAID BY ASSESSMENTS, AND THE MANNER AND TIMING IN WHICH THE ASSESSMENTS ARE TO BE PAID.

A. The total estimated cost of the Project, including the portion that relates to the Boundary Amendment Parcel, is $30,535,500 (“Estimated Cost”), with the estimated cost of the portion of the Project related to the Boundary Amendment Parcel being $8,011,625 (“Boundary Amendment Estimated Cost”).

B. The Assessments as they relate to the Boundary Amendment Parcel are anticipated to be levied and allocated in an amount to fund only a portion of the Boundary Amendment Estimated Cost. Specifically, as set forth in more detail in Exhibit B, the Assessments to be levied and allocated to the Boundary Amendment Parcel will defray approximately $2,630,000, which is the anticipated maximum par value of any bonds and which includes a portion of the Boundary Amendment Estimated Cost, as well as other financing-related costs, as set forth in Exhibit B, and which is in addition to interest and collection costs. On an annual basis, the Assessments to be levied and allocated to the Boundary Amendment Parcel will defray no more than approximately $171,750 per year, again as set forth in Exhibit B.

C. The manner in which the Assessments shall be apportioned and paid is set forth in Exhibit B, as may be modified by supplemental assessment resolutions. The Assessments will constitute a “master” lien, which may be imposed without further public hearing in one or more separate liens each securing a series of bonds, and each as determined by supplemental assessment resolution. With respect to each lien securing a series of bonds, the special assessments shall be paid in not more than (30) thirty yearly installments. The special assessments may be payable at the same time and in the same manner as are ad-valorem taxes and collected pursuant to Chapter 197, Florida Statutes; provided, however, that in the event the uniform non ad-valorem assessment method of collecting the Assessments is not available to the District in any year, or if determined by the District to be in its best interest, the Assessments may be collected as is otherwise permitted by law, including but not limited to by direct bill. The decision to collect special assessments by any particular method – e.g., on the tax roll or by direct bill – does not mean that such method will be used to collect special assessments in future years, and the District reserves the right to select collection methods in any given year, regardless of past practices.

5. DESIGNATING THE LANDS UPON WHICH THE SPECIAL ASSESSMENTS SHALL BE LEVIED. The Assessments securing the Project shall be levied on the lands within the District, including the Boundary Amendment Parcel, as described in Exhibit B, and as further designated by the assessment plat hereinafter provided for.

6. ASSESSMENT PLAT. Pursuant to Section 170.04, Florida Statutes, there is on file, at the District Records Office, an assessment plat showing the area to be assessed with certain plans and specifications describing the Project and the estimated cost of the Project, all of which shall be open to inspection by the public.

7. PRELIMINARY ASSESSMENT ROLL. Pursuant to Section 170.06, Florida Statutes, the District Manager has caused to be made a preliminary assessment roll, in accordance with the method of assessment described in Exhibit B hereto, which shows the lots and lands assessed, the amount of benefit to and the assessment against each lot or parcel of land and the number of annual installments into which the assessment may be divided, which assessment roll is hereby adopted and approved as the District’s preliminary assessment roll.

8. DIRECTION TO PROVIDE NOTICE OF THE HEARINGS. The Board shall adopt a subsequent resolution to fix a time and place at which the owners of property to be assessed or any other persons interested therein may appear before the Board and be heard as to the propriety and advisability of the assessments or the making of the Improvements, the cost thereof, the manner of payment therefore, or the amount thereof to be assessed against each property as improved.

Continued on page 19C

18C THURSDAY, SEPTEMBER 14, 2023 JACKSONVILLE DAILY RECORD
PUBLIC NOTICES CLAY COUNTY
Product Type Planned Lots ERU Factor Series 2023 Allocated Par Debt Series 2023 Par Debt Per Unit Annual Gross Assessment Per Unit* Single Family 50’ Lot 128 1.00 $2,214,747 $17,302.63 $1,202.06 Single Family 60’ Lot 20 1.20 $415,263 $20,763.16 $1,442.47

PUBLIC NOTICES

WILFORD PRESERVE COMMUNITY DEVELOPMENT DISTRICT NOTICE OF BOARD OF SUPERVISORS MEETING

Notice is hereby given that the Board of Supervisors (“Board”) of the Wilford Preserve Community Development District (“District”) will hold a regular meeting on Thursday, September 21, 2023 at 1:30 p.m. at the Plantation Oaks Amenity Center, 845 Oakleaf Plantation Parkway, Orange Park, Florida 32065, where the Board may consider any business that may properly come before it (“Meeting”). An electronic copy of the agenda may be obtained by contacting the office of the District Manager, c/o Governmental Management Services, LLC,

IN THE CIRCUIT COURT FOR CLAY COUNTY, FLORIDA PROBATE DIVISION

File No. 2023-CP-449 Division D

IN RE: ESTATE OF CARL ANDREW BODIN

Deceased. NOTICE TO CREDITORS

The administration of the estate of Carl Andrew Bodin, deceased, whose date of death was August 21, 2023, is pending in the Circuit Court for Clay County, Florida, Probate Division, the address of which is 825 N. Orange Avenue Green Cove Springs, Fl 32043. The names and addresses of the personal representative and the personal representative’s attorney are set forth below.

All creditors of the decedent and other persons having claims or demands against decedent’s estate on whom a copy of this notice is

Continued from page 18C

FIRST INSERTION

at (904) 940-5850 or mgiles@ gmsnf.com (“District Manager’s Office”) and is also expected to be available on the District’s website, www.WilfordPreserveCDD.com, at least seven days prior to the meeting.

The meeting will be conducted in accordance with the provisions of Florida law for community development districts and will be open to the public. The meeting may be continued in progress without additional notice to a date, time, and place to be specified on the record at the meeting.

Any person requiring special accommodations at the Meeting because of a disability or physical impairment should contact the District Manager’s Office at least forty-eight (48) hours prior

FIRST INSERTION

required to be served must file their claims with this court ON OR BEFORE THE LATER OF

3 MONTHS AFTER THE TIME OF THE FIRST PUBLICATION OF THIS NOTICE OR 30 DAYS AFTER THE DATE OF SERVICE OF A COPY OF THIS NOTICE ON THEM. All other creditors of the decedent and other persons having claims or demands against decedent’s estate must file their claims with this court WITHIN

3 MONTHS AFTER THE DATE OF THE FIRST PUBLICATION OF THIS NOTICE. ALL CLAIMS NOT FILED WITHIN THE TIME PERIODS SET FORTH IN FLORIDA STATUTES SECTION 733.702 WILL BE FOREVER BARRED. NOTWITHSTANDING THE TIME PERIODS SET FORTH

to the Meeting. If you are hearing or speech impaired, please contact the Florida Relay Service by dialing 7-1-1, or 1-800-955-8771 (TTY) / 1-800-955-8770 (Voice), for aid in contacting the District Manager’s Office.

Each person who decides to appeal any decision made by the Board with respect to any matter considered at the Meeting is advised that person will need a record of proceedings and that accordingly, the person may need to ensure that a verbatim record of the proceedings is made, including the testimony and evidence upon which such appeal is to be based.

Marilee Giles District Manager Sep. 14 00 (23-00319C)

ABOVE, ANY CLAIM FILED

TWO (2) YEARS OR MORE AFTER THE DECEDENT’S DATE OF DEATH IS BARRED.

The date of first publication of this notice is September 14, 2023.

Personal Representative: Susan L. Higbee

9144 Catherine Foster Court Jacksonville, Florida 32225

Attorney for

Personal Representative:

William Ashton Scott, Attorney

Florida Bar Number: 107406

Tolson & Associates, PA 462 Kingsley Ave., Ste. 101 ORANGE PARK, FL 32073 Telephone: (904) 269-0050

Fax: (904) 269-6119 E-Mail: office@tolsonandassociates.com

Secondary E-Mail: susie@tolsonandassociates.com Sep. 14/21 00 (23-00327C)

9. PUBLICATION OF RESOLUTION. Pursuant to Section 170.05, Florida Statutes, the District Manager is hereby directed to cause this Resolution to be published twice (once a week for two (2) weeks) in a newspaper of general circulation within the County and to provide such other notice as may be required by law or desired in the best interests of the District.

10. CONFLICTS. All resolutions or parts thereof in conflict herewith are, to the extent of such conflict, superseded and repealed. As a point of clarification, Resolution 2018-09 remains in full force and effect, and the intent of this Resolution is solely to add the Boundary Amendment Parcel to the property subject to the Assessments originally levied pursuant to Resolution 2018-09.

11. SEVERABILITY. If any section or part of a section of this resolution be declared invalid or unconstitutional, the validity, force, and effect of any other section or part of a section of this resolution shall not thereby be affected or impaired unless it clearly appears that such other section or part of a section of this resolution is wholly or necessarily dependent upon the section or part of a section so held to be invalid or unconstitutional.

12. EFFECTIVE DATE. This Resolution shall become effective upon its adoption.

Attest:

this 17th day of August, 2023.

WILFORD PRESERVE COMMUNITY DEVELOPMENT DISTRICT /s/

FIRST INSERTION

NOTICE UNDER FICTITIOUS NAME LAW

According to Florida Statute Number 865.09

NOTICE IS HEREBY GIVEN that the undersigned, desiring to engage in business under the Fictitious Name of GOLDEN OX LIQUORS located at 9542 ARGYLE FOREST BLVD C17, in the City of JACKSONVILLE, DUVAL County, Florida 32222 intends to register the said name with the Division of Corporations of the Department of State, Tallahassee, Florida.

Dated at Jacksonville, Florida, this 6th day of September, 2023. STUTI, INC

By: DINESH PATEL

Sep. 14 00 (23-00321C)

CLAY COUNTY

FIRST INSERTION

FIRST INSERTION

NOTICE UNDER FICTITIOUS NAME LAW

According to Florida Statute Number 865.09

NOTICE IS HEREBY GIVEN that the undersigned, desiring to engage in business under the Fictitious Name of Socially Kimmy located at 2164 Willow Springs Drive, in the City of Green Cove Springs, Clay County, Florida 32043 intends to register the said name with the Division of Corporations of the Department of State, Tallahassee, Florida.

Dated at Jacksonville, Florida, this 10th day of September, 2023. Kimberly Fontan Sep. 14 00 (23-00330C)

FIRST INSERTION

The Crossings at Fleming Island CDD

Fiscal Year 2024

Notice of Meetings

Unless notated otherwise (*), The Crossings at Fleming Island CDD Board of Supervisors meetings will be held on the fourth Thursday of each month at 6:00 p.m. at 2217 Eagle Harbor Parkway, Fleming Island, Florida 32003. Meetings are subject to change.

October 26, 2023

November 16, 2023

(*Third Thursday)

December 21, 2023

(*Third Thursday)

January 25, 2024

February 22, 2024

March 28, 2024

April 25, 2024

May 23, 2024

June 27, 2024

July 25, 2024

August 22, 2024

September 26, 2024

The meetings are open to the public and will be conducted in accordance with the provision of Florida Law for Community Development Districts. The meetings may be continued to a date, time, and place to be specified on the record at the meeting. A copy of the agenda for these meet-

FIRST INSERTION

NOTICE OF MEETINGS

DOUBLE BRANCH COMMUNITY

DEVELOPMENT DISTRICT

The Board of Supervisors of the Double Branch Community Development District will hold their regularly scheduled public meetings for Fiscal Year 2024 at 4:00 p.m. at the Plantation Oaks Amenity Center, 845 Oakleaf Plantation Parkway, Orange Park, Florida 32065 on the second Monday of each month as follows, except where indicated:

October 9, 2023

November 13, 2023

December 11, 2023

January 8, 2024

February 12, 2024 @ 6:00 p.m.

March 11, 2024

April 8, 2024

May 13, 2024

June 10, 2024

July 8, 2024

August 12, 2024 @ 6:00 p.m.

September 9, 2024

The meetings are open to the public and will be conducted in accordance with the provisions of Florida Law for Community Development Districts. Copies of the agendas for each meeting may be obtained from the District Manager, 475 West Town Place, Suite 114, St. Augustine, Florida 32092 (and phone (904) 940-5850), or on the District’s website, www.DoubleBranchCDD. com. The meetings may be continued to a date, time, and place to be specified on the record at the meetings. There may be occasions when one or more Supervisors will participate by telephone.

Pursuant to provisions of the Americans with Disabilities Act, any person requiring special accommodations at these meetings because of a disability or physical impairment should contact the District Office at (904) 940-5850 at least 48 hours prior to the meeting. If you are hearing or speech impaired, please contact the Florida Relay Service by dialing 7-1-1, or 1-800-955-8771 (TTY) / 1-800-955-8770 (Voice), for aid in contacting the District Office. Each person who decides to appeal any action taken at the meetings is advised that person will need a record of the proceedings and that accordingly, the person may need to ensure that a verbatim record of the proceedings is made, including the testimony and evidence upon which such appeal is to be based.

Marilee Giles District Manager Sep. 14 00 (23-00325C)

NOTICE UNDER FICTITIOUS NAME LAW PURSUANT TO SECTION 865.09, FLORIDA STATUTES NOTICE IS HEREBY GIVEN that Floyd Farris will engage in business under the fictitious name NORTH FLORIDA HOMEWORK’S, with a physical address 2256 Elderberry Ct Orange Park, FL 32073, with a mailing address 2256 Elderberry Ct Orange Park, FL 32073, and already registered the name mentioned above with the Florida Department of State, Division of Corporations.

Sep. 14 00 (23-00323C)

FIRST INSERTION IN THE CIRCUIT COURT FOR CLAY COUNTY, FLORIDA PROBATE DIVISION

ings may be obtained from Governmental Management Services, LLC, 475 West Town Place, Suite 114, St. Augustine, Florida 32092, by calling (904) 940-5850, or on the District’s website, www.TheCrossingsatFlemingIslandCDD. com.

Pursuant to provisions of the Americans with Disabilities Act, any person requiring special accommodations at this meeting because of a disability or physical impairment should contact the District Office at (904) 9405850 at least 48 hours prior to the meeting. If you are hearing or speech impaired, please contact the Florida Relay Service by dialing 7-1-1, or 1-800-955-8771 (TTY) / 1-800-955-8770 (Voice), for aid in contacting the District Office.

A person who decides to appeal any decision made at the meeting with respect to any matter considered at the meeting is advised that person will need a record of the proceedings and that accordingly, the person may need to ensure that a verbatim record of the proceedings is made, including the testimony and evidence upon which such appeal is to be based.

District Manager Sep. 14 00 (23-00324C)

FIRST INSERTION

IN THE CIRCUIT COURT FOR CLAY COUNTY, FLORIDA PROBATE DIVISION

File No. 2023CP000409 IN RE: ESTATE OF DALE A. DAAK Deceased. NOTICE TO CREDITORS

The administration of the estate of Dale A. Daak, deceased, whose date of death was August 1, 2023, is pending in the Circuit Court for Clay County, Florida, Probate Division, the address of which is 825 N. Orange Avenue, Green Cove Springs, FL 32043. The names and addresses of the personal representative and the personal representative’s attorney are set forth below.

All creditors of the decedent and other persons having claims or demands against decedent’s estate on whom a copy of this notice is required to be served must file their claims with this court ON OR BEFORE THE LATER OF

3 MONTHS AFTER THE TIME OF THE FIRST PUBLICATION OF THIS NOTICE OR 30 DAYS AFTER THE DATE OF SERVICE OF A COPY OF THIS NOTICE ON THEM.

All other creditors of the decedent and other persons having claims or demands against decedent’s estate must file their claims with this court WITHIN

3 MONTHS AFTER THE DATE OF THE FIRST PUBLICATION OF THIS NOTICE. ALL CLAIMS NOT FILED WITHIN THE TIME PERIODS SET FORTH IN FLORIDA STATUTES SECTION 733.702 WILL BE FOREVER BARRED.

NOTWITHSTANDING THE TIME PERIODS SET FORTH ABOVE, ANY CLAIM FILED TWO (2) YEARS OR MORE AFTER THE DECEDENT’S DATE OF DEATH IS BARRED.

The date of first publication of this notice is September 14, 2023.

Personal Representative:

Candice S. Daak

6130 S.W. Multnomah Blvd.

Portland, Oregon 97219

Attorney for

Personal Representative:

Sarah J. Boyko

Attorney

Florida Bar Number: 1044145

Schnauss Naugle Law, P.L. 810 Margaret Street JACKSONVILLE, FL 32204

Telephone: (904) 366-2703

Fax: (904) 353-9040

E-Mail: sboyko@jaxlawteam.com

Secondary E-Mail: aforquer@jaxlawteam.com Sep. 14/21 00 (23-00328C)

File No. 10-2023-CP-459 Division B IN RE: ESTATE OF ANTHONY JOSEPH RENO Deceased. NOTICE TO CREDITORS

The administration of the estate of Anthony Joseph Reno, deceased, whose date of death was August 12, 2023, is pending in the Circuit Court for Clay County, Florida, Probate Division, the address of which is 825 North Orange Avenue, Green Cove Springs, Florida 32043. The names and addresses of the personal representative and the personal representative’s attorney are set forth below.

All creditors of the decedent and other persons having claims or demands against decedent’s estate on whom a copy of this notice is required to be served must file their claims with this court ON OR BEFORE THE LATER OF 3 MONTHS AFTER THE TIME OF THE FIRST PUBLICATION OF THIS NOTICE OR 30 DAYS AFTER THE DATE OF SERVICE OF A COPY OF THIS NOTICE ON THEM.

All other creditors of the decedent and other persons having claims or demands against decedent’s estate must file their claims with this court WITHIN 3 MONTHS AFTER THE DATE OF THE FIRST PUBLICATION OF THIS NOTICE.

ALL CLAIMS NOT FILED WITHIN THE TIME PERIODS SET FORTH IN FLORIDA STATUTES SECTION 733.702 WILL BE FOREVER BARRED. NOTWITHSTANDING THE TIME PERIODS SET FORTH ABOVE, ANY CLAIM FILED TWO (2) YEARS OR MORE AFTER THE DECEDENT’S DATE OF DEATH IS BARRED. The date of first publication of this notice is September 14, 2023.

Personal Representative: Terri Marie Reno 1571 Waters Edge Drive Fleming Island, Florida 32003

Attorney for Personal Representative: Amanda Meyer, Esquire Attorney Florida Bar Number: 76997 Owenby Law, PA 6136 Atlantic Blvd. Jacksonville, FL 32211

Telephone: (904) 359-5115 Fax: (904) 359-5116

E-Mail: Legal@OwenbyLawFirm.com

Secondary E-Mail: Service@OwenbyLawFirm.com Sep. 14/21 00 (23-00331C)

THURSDAY, SEPTEMBER 14, 2023 19C JACKSONVILLE DAILY RECORD
Passed
and Adopted
Marilee Giles /s/ Louis
Secretary / Assistant Secretary Vice Chairperson Exhibit A: Supplemental Engineering Report for Wilford Preserve Phase IV, dated August 9, 2023 Exhibit B: Supplemental Special Assessment Methodology Report for Assessment Area IV, dated August 17, 2023 Sep. 14/21 00 (23-00320C)
P. Cowling
Call: 904.356.2466 or Email: legal@jaxdailyrecord.com For Legal Advertising SERVING DUVAL, CLAY, NASSAU & ST. JOHNS COUNTIES

PUBLIC NOTICES

SECOND INSERTION

NOTICE OF PUBLIC SALE

To satisfy the owner’s storage lien, PS Retail Sales, LLC will sell at public lien sale on September 22, 2023, the personal property in the below-listed units, which may include but are not limited to: household and personal items, office and other equipment. The public sale of these items will begin at 10:00 AM and continue until all units are sold. The lien sale is to be held at the online auction website, www.storagetreasures.com, where indicated. For online lien sales, bids will be accepted until 2 hours after the time of the sale specified.

PUBLIC STORAGE # 28070, 210 Park Ave, Orange Park, FL 32073, (904) 429-4425

Time: 10:15 AM

Sale to be held at www.storagetreasures.com.

023 - Roach, Amy; 089 - Turner, April; 113 - Telehany, Denise; 118Grantham, Michael; 157 - Duclos, Jason; 207 - Perkins, Jeremiah; 276 - Curry, Darryl; 285 - feather, Jacob; 313 - Owens, Jamotta; 314 - Nickelson, Francine; 410 - byrd, marietta

PUBLIC STORAGE # 20713, 271 Blanding Blvd, Orange Park, FL 32073, (904) 429-4119

Time: 11:15 AM

Sale to be held at www.storagetreasures.com.

A016 - Ezzo, Joshua; A053 - Foglia, Nicolle; A064 - Hopkins, Arrielle; A072 - Muhammad, Valgenia; B007 - Martinez, Juan; C015 - Fowells, Regeena; C023 - Little, Chris; C042 - hayes, Nathaniel; C068 - L.O.E Life LLC Jackson, Sarah; D016 - Jordan-Baggett, Angel S; D054 - Stewart, Krys; E017 - parker, Kenya; E018 - Hopkins, Arrielle; E019 - Bristol, Shakita; E035 - Sweatt, Austin; F011 - Thayer, Amanda; F016heath, Shari

Public sale terms, rules, and regulations will be made available prior to the sale. All sales are subject to cancellation. We reserve the right to refuse any bid. Payment must be in cash or credit cardno checks. Buyers must secure the units with their own personal locks. To claim tax-exempt status, original RESALE certificates for each space purchased is required. By PS Retail Sales, LLC, 701 Western Avenue, Glendale, CA 91201. (818) 244-8080.

Sep. 7/14 35 (23-00317C)

CLAY COUNTY SUBSEQUENT INSERTIONS

SECOND INSERTION

IN THE CIRCUIT COURT FOR CLAY COUNTY, FLORIDA PROBATE

No. 2023-CP-437 Division B IN RE: ESTATE OF RICHARD ANKENY, A/K/A GEORGE D. ANKENY, GEORGE ANKENY, GEORGE DICKEY ANKENY Deceased. NOTICE TO CREDITORS

The administration of the estate of Richard Ankeny, a/k/a George D. Ankeny, George Ankeny, George Dickey Ankeny, deceased, whose date of death was August 12, 2023, is pending in the Circuit Court for Clay County, Florida, Probate Division, the address of which is 825 N. Orange Avenue, Green Cove Springs, Fl 32043. The names and addresses of the personal representative and the personal representative’s attorney are set forth below.

All creditors of the decedent and other persons having claims or demands against decedent’s estate on whom a copy of this notice is required to be served must file their claims with this court ON OR BEFORE THE LATER OF

3 MONTHS AFTER THE TIME OF THE FIRST PUBLICATION OF THIS NOTICE OR 30 DAYS AFTER THE DATE OF SERVICE OF A COPY OF THIS NOTICE ON THEM.

All other creditors of the decedent and other persons having claims or demands against decedent’s estate must file their claims with this court WITHIN

3 MONTHS AFTER THE DATE OF THE FIRST PUBLICATION OF THIS NOTICE.

ALL CLAIMS NOT FILED WITHIN THE TIME PERIODS SET FORTH IN FLORIDA STATUTES SECTION 733.702 WILL BE FOREVER BARRED. NOTWITHSTANDING THE TIME PERIODS SET FORTH ABOVE, ANY CLAIM FILED

TWO (2) YEARS OR MORE AFTER THE DECEDENT’S DATE OF DEATH IS BARRED.

The date of first publication of this notice is September 7, 2023.

Personal Representative:

James E. Gibson, Jr. 2859 Windemere Court Middleburg, Florida 32068

Attorney for

Personal Representative: William Ashton Scott, Attorney Florida Bar Number: 107406 Tolson & Associates, PA 462 Kingsley Ave., Ste. 101 ORANGE PARK, FL 32073

Telephone: (904) 269-0050

Fax: (904) 269-6119

E-Mail: office@tolsonandassociates.com

OF CAROLYN G. FITZGERALD

Deceased.

NOTICE TO CREDITORS

The administration of the estate of Carolyn G. Fitzgerald, deceased, whose date of death was July 30, 2023, is pending in the Circuit Court for Clay County, Florida, Probate Division, the address of which is 825 N. Orange Avenue, Green Cove Springs, FL 32043. The names and addresses of the personal representative and the personal representative’s attorney are set forth below.

All creditors of the decedent and other persons having claims or demands against decedent’s estate on whom a copy of this notice is required to be served must file their claims with this court ON OR BEFORE THE LATER OF 3 MONTHS AFTER THE TIME OF THE FIRST PUBLICATION OF THIS NOTICE OR 30 DAYS AFTER THE DATE OF SERVICE OF A COPY OF THIS NOTICE ON THEM.

All other creditors of the decedent and other persons having claims or demands against decedent’s estate must file their claims with this court WITHIN

3 MONTHS AFTER THE DATE OF THE FIRST PUBLICATION OF THIS NOTICE.

ALL CLAIMS NOT FILED WITHIN THE TIME PERIODS SET FORTH IN FLORIDA STATUTES SECTION 733.702 WILL BE FOREVER BARRED. NOTWITHSTANDING THE TIME PERIODS SET FORTH ABOVE, ANY CLAIM FILED TWO (2) YEARS OR MORE AFTER THE DECEDENT’S DATE OF DEATH IS BARRED.

The date of first publication of this notice is September 7, 2023.

Personal Representative:

Nancy E. Kemner, Esquire P.O. Box 9318

Fleming Island, FL 32006

Attorney for Personal Representative:

Nancy E. Kemner

Attorney Florida Bar Number: 879746

P.O. Box 9318 Fleming Island, FL 32006

Telephone: (904) 278-1178

Fax: (904) 592-7735

E-Mail: nancy@kemnerlaw.com

Secondary E-Mail: filing@kemnerlaw.com

Sep. 7/14 35 (23-00315C)

SECOND INSERTION

IN THE CIRCUIT COURT FOR CLAY COUNTY, FLORIDA PROBATE DIVISION

File No. 2023-CP-373

Division B

IN RE: ESTATE OF CLARINE COLEMAN

A/K/A CLARINE M. COLEMAN Deceased.

NOTICE TO CREDITORS

The administration of the estate of Clarine Coleman, deceased, whose date of death was March 27, 2023, is pending in the Circuit Court for Clay County, Florida, Probate Division, the address of which is 825 N Orange Ave #308, Green Cove Springs, FL 32043. The names and addresses of the personal representative and the personal representative’s attorney are set forth below.

All creditors of the decedent and other persons having claims or demands against decedent’s estate on whom a copy of this notice is required to be served must file their claims with this court ON OR BEFORE THE LATER OF 3 MONTHS AFTER THE TIME OF THE FIRST PUBLICATION OF THIS NOTICE OR 30 DAYS AFTER THE DATE OF SERVICE OF A COPY OF THIS NOTICE ON THEM.

All other creditors of the decedent and other persons having claims or demands against decedent’s estate must file their claims with this court WITHIN

3 MONTHS AFTER THE DATE OF THE FIRST PUBLICATION OF THIS NOTICE.

ALL CLAIMS NOT FILED WITHIN THE TIME PERIODS SET FORTH IN FLORIDA STATUTES SECTION 733.702 WILL BE FOREVER BARRED. NOTWITHSTANDING THE TIME PERIODS SET FORTH ABOVE, ANY CLAIM FILED TWO (2) YEARS OR MORE AFTER THE DECEDENT’S DATE OF DEATH IS BARRED. The date of first publication of this notice is September 7, 2023.

Personal Representative: Karen L. Benedit 3021 Bluejack Court Orange Park, Florida 32073

Attorney for Personal Representative: William Ashton Scott, Attorney Florida Bar Number: 107406 462 Kingsley Ave., Ste. 101 ORANGE PARK, FL 32073

SECOND INSERTION

IN THE CIRCUIT COURT FOR CLAY COUNTY, FLORIDA PROBATE DIVISION File No. 2023-CP-444 Division A IN RE: ESTATE OF BRIAN DAVID KELLEY COZORT A/K/A BRIAN D. COZORT

Deceased.

NOTICE TO CREDITORS

The administration of the estate of Brian David Kelley Cozort a/k/a Brian D. Cozort, deceased, whose date of death was August 2, 2023, is pending in the Circuit Court for Clay County, Florida, Probate Division, the address of which is P.O. Box 698, Green Cove Springs, Florida 32043. The names and addresses of the personal representative and the personal representative’s attorney are set forth below.

All creditors of the decedent and other persons having claims or demands against decedent’s estate on whom a copy of this notice is required to be served must file their claims with this court ON OR BEFORE THE LATER OF 3 MONTHS AFTER THE TIME OF THE FIRST PUBLICATION OF THIS NOTICE OR 30 DAYS AFTER THE DATE OF SERVICE OF A COPY OF THIS NOTICE ON THEM. All other creditors of the decedent and other persons having claims or demands against decedent’s estate must file their claims with this court WITHIN 3 MONTHS AFTER THE DATE OF THE FIRST PUBLICATION OF THIS NOTICE.

ALL CLAIMS NOT FILED WITHIN THE TIME PERIODS SET FORTH IN FLORIDA STATUTES SECTION 733.702 WILL BE FOREVER BARRED.

NOTWITHSTANDING THE TIME PERIODS SET FORTH ABOVE, ANY CLAIM FILED

TWO (2) YEARS OR MORE AFTER THE DECEDENT’S DATE OF DEATH IS BARRED.

The date of first publication of this notice is September 7, 2023.

Personal Representative:

Robert H. Cozort 785 Oakleaf Plantation Pkwy., Unit 611 Orange Park, Florida 32065

Attorney for

Personal Representative:

Markus A. Sermons, Esq.

Attorney Florida Bar Number: 74420

SERMONS LAW, PLLC 1543 Kingsley Avenue, Suite 18-B Orange Park, Florida 32073

Telephone: (904) 541-6492

Fax: (904) 637-7144

E-Mail: mark@sermonsfirm.com

NASSAU COUNTY LEGAL NOTICES

FIRST INSERTION

NOTICE

Notice is hereby given that on September 25, 2023. Storagetreasures.com Executive administrator for U-Haul company of Northern Florida, will be offering for sale under the judicial lien process; by public auction; the following storage units. Household goods are stored at the U-Haul center located at 1830 S 8TH St. Fernandina Beach, Fl 32034 Nassau. Cynthia Bradford 2257 $1,413.70 Tamara Broell 1224 $2,917.48

FIRST

IN THE CIRCUIT COURT FOR NASSAU COUNTY, FLORIDA PROBATE DIVISION File No. 2023-CP-420 IN RE: ESTATE OF NOAH JOSHUA CARROLL, AKA NOAH J. CARROLL Deceased. NOTICE TO CREDITORS

The administration of the estate of NOAH JOSHUA CARROLL, also known as NOAH J. CARROLL, deceased, whose date of death was May 1, 2023, is pending in the Circuit Court for Nassau County, Florida, Probate Division, the address of which is 76347 Veterans Way, Yulee, FL, 32097. The names and addresses of the personal representative and the personal representative’s attorney are set forth below.

All creditors of the decedent and other persons having claims or demands against decedent’s estate, on whom a copy of this notice is required to be served, must file their claims with this court ON OR BEFORE THE LATER OF 3 MONTHS AFTER THE TIME OF THE FIRST PUBLICATION OF THIS NOTICE OR 30 DAYS AFTER THE DATE OF SERVICE OF A COPY OF THIS NOTICE ON THEM.

All other creditors of the decedent and other persons hav-

FIRST INSERTION

Notice of Meetings Amelia Walk Community Development District

joy echols 2037 $1,836.62 Tamara Broell 118 $3,178.04 SELL in AUCTION 010 $1,756.99 JENNIFER DEEHAN 1209 $1,516.64 lisa browning 1058 $2,140.28

U-Haul company does reserve the right to refuse bids. The sale will begin Monday 09/25/23 @ 9:00 am and continue until Monday 10/2/23 @ 9am. Sep. 14/21 00 (23-00165N)

ing claims or demands against decedent’s estate must file their claims with this court WITHIN 3 MONTHS AFTER THE DATE OF THE FIRST PUBLICATION OF THIS NOTICE. ALL CLAIMS NOT FILED WITHIN THE TIME PERIODS SET FORTH IN FLORIDA STATUTES SECTION 733.702 WILL BE FOREVER BARRED. NOTWITHSTANDING THE TIME PERIOD SET FORTH ABOVE, ANY CLAIM FILED TWO (2) YEARS OR MORE AFTER THE DECEDENT’S DATE OF DEATH IS BARRED. The date of first publication of this notice is: September 14, 2023. RONDA OLIVER

Personal Representative

394669 Kolors Ferry Rd Hilliard, Fl 32046

Edward P. Jackson

Attorney for Personal Representative Florida Bar No. 286648 Edward P. Jackson, P.A. 255 N. Liberty St Jacksonville, Florida 32202 Telephone: 904-358-1952

Email: edward@edwardpjackson.com

Secondary Email: pleadings@edwardpjackson.com Sep. 14/21 00 (23-00163N)

FIRST INSERTION IN THE CIRCUIT COURT FOR NASSAU COUNTY, FLORIDA PROBATE DIVISION

Secondary E-Mail: susie@tolsonandassociates.com Sep. 7/14 36 (23-00316C)

IN THE CIRCUIT COURT OF THE 4TH JUDICAL CIRCUIT, IN AND FOR CLAY COUNTY, FLORIDA

Secondary E-Mail: service@sermonsfirm.com

Sep. 7/14 36 (23-00318C)

CASE No. 2023CA001102

U.S. BANK, N.A., AS TRUSTEE, SUCCESSOR IN INTEREST TO WACHOVIA BANK, NATIONAL ASSOCIATION, AS TRUSTEE, SUCCESSOR BY MERGER TO FIRST UNION NATIONAL BANK AS TRUSTEE, FOR MIDSTATE TRUST X, Plaintiff, vs. DAVID GERALD BURRIS AKA DAVID G. BURRIS, Defendants.

NOTICE OF ACTION

TO: DAVID GERALD BURRIS

AKA DAVID G. BURRIS 3559 EDS COURT GREEN COVE SPRINGS, FL 32043 3565 EDS CT GREEN COVE SPRINGS, FL 32043

GINGER GRUBBS BURRIS

AKA GINGER G. BURRIS

3565 EDS CT GREEN COVE SPRINGS, FL 32043

UNKNOWN TENANT #1

3565 EDS CT GREEN COVE SPRINGS, FL 32043

UNKNOWN TENANT #2

3565 EDS CT GREEN COVE SPRINGS, FL

32043

YOU ARE HEREBY NOTIFIED that an action to foreclose a mortgage on the following described property located in Clay County, Florida:

A PORTION OF LOT 5, THUNDER ROAD ACRES UNIT ONE, CLAY COUNTY,

OF THE PUBLIC RECORDS OF SAID COUNTY, SAID PORTION BEING MORE PARTICULARLY DESCRIBED AS FOLLOWS:

BEGIN AT THE SOUTHWEST CORNER OF SAID LOT 5; THENCE ON THE SOUTH LINE THEREOF NORTH 89 DEGREES 15 MINUTES 56 SECONDS EAST, 268.16 FEET TO THE EAST LINE OF SAID LOT 5; THENCE ON SAID EAST LINE NORTH 00 DEGREES 34 MINUTES 19 SECONDS WEST, 162.45 FEET; THENCE SOUTH 89 DEGREES 15 MINUTES 56 SECONDS WEST 268.16 FEET TO THE WEST LINE OF SAID LOT 5; THENCE ON SAID WEST LINE SOUTH 00 DEGREES 34 MINUTES 19 SECONDS EAST, 162.45 FEET TO THE POINT OF BEGINNING. TOGETHER WITH AN EASEMENT FOR INGRESS, EGRESS AND UTILITIES COVERING THE FOLLOWING DESCRIBED PORTION OF SAID LOT 5: COMMENCE AT THE SOUTHWEST CORNER OF SAID LOT 5; THENCE ON THE WEST LINE THEREOF NORTH 00 DEGREES 34 MINUTES 19 SECONDS WEST, 162.45 FEET TO THE POINT OF BEGINNING; THENCE CONTINUE ON SAID WEST LINE NORTH 00 DEGREES 34 MINUTES 19 SECONDS WEST 664.77 FEET TO THE SOUTH LINE OF ED’S COURT; THENCE ON SAID SOUTH LINE NORTH 89 DEGREES 25 MINUTES 41 SECONDS EAST, 30.00

FEET; THENCE SOUTH 00 DEGREES 34 MINUTES 19 SECONDS EAST, 664.68 FEET; THENCE SOUTH 89 DEGREES 15 MINUTES 56 SECONDS WEST, 30.00

FEET TO THE POINT OF BEGINNING. has been filed against you, and you are required to serve a copy of your written defenses, if any, to this action, on Greenspoon Marder, LLP, Default Department, Attorneys for Plaintiff, whose address is Trade Centre South, Suite 700, 100 West Cypress Creek Road, Fort Lauderdale, FL 33309, and file the original with the Clerk within 30 days after the first publication of this notice in JACKSONVILLE DAILY RECORD otherwise a default and a judgment may be entered against you for the relief demanded in the Complaint.

IMPORTANT

In accordance with the Americans with Disabilities Act, persons needing a reasonable accommodation to participate in this proceeding should, no later than seven (7) days prior, contact the Clerk of the Court’s disability coordinator at PO BOX 698, GREEN COVE SPRINGS, FL 32043, 904-630-2564. If hearing or voice impaired, contact (TDD) (800)955-8771 via Florida Relay System.

WITNESS MY HAND AND SEAL OF SAID COURT on this 31st day of August, 2023.

TARA S. GREEN

As Clerk of said Court

SECOND INSERTION www.jaxdailyrecord.com/subscribe

By: Chelsey Mason As Deputy Clerk (Court Seal) Greenspoon Marder, LLP (954) 491-1120 gmforeclosure@gmlaw.com (32875.2301) Sep. 7/14 36 (23-00314C)

The Board of Supervisors of the Amelia Walk Community Development District will hold their regular meetings for Fiscal Year 2024 at the Amelia Walk Amenity Center, 85287 Majestic Walk Boulevard, Fernandina Beach, Florida 32034 on the third Tuesday of each month listed (*unless notated otherwise) as follows:

October 24, 2023 at 6:00 p.m.

(*fourth Tuesday)

November 14, 2023 at 2:00 p.m. (*second Tuesday)

December 19, 2023 at 2:00 p.m.

January 16, 2024 at 6:00 p.m.

February 20, 2024 at 2:00 p.m.

March 19, 2024 at 2:00 p.m.

April 16, 2024 at 6:00 p.m.

May 21, 2024 at 2:00 p.m.

June 18, 2024 at 2:00 p.m.

July 16, 2024 at 6:00 p.m.

August 20, 2024 at 2:00 p.m.

September 17, 2024 at 2:00 p.m.

The meetings are open to the public and will be conducted in accordance with the provision of Florida Law for Community Development Districts. The meetings may be continued to a date, time, and place to be specified on the record at the meeting. A copy of the agenda for these meetings may be obtained from Governmental Management Services, LLC, 475 West Town Place, Suite 114, St. Augustine, Florida 32092 or by calling (904) 940-5850.

Pursuant to provisions of the Americans with Disabilities Act, any person requiring special accommodations at the meetings because of a disability or physical impairment should contact the District Office at (904) 9405850 at least 48 hours prior to the meetings. If you are hearing or speech impaired, please contact the Florida Relay Service by dialing 7-1-1, or 1-800-955-8771 (TTY) / 1-800-955-8770 (Voice), for aid in contacting the District Office.

A person who decides to appeal any decision made at the meeting with respect to any matter considered at the meetings is advised that person will need a record of the proceedings and that accordingly, the person may need to ensure that a verbatim record of the proceedings is made, including the testimony and evidence upon which such appeal is to be based.

File No. 2023-CP-426 Division Div - B IN RE: ESTATE OF JAMES T. DAUGHTREY, JR Deceased.

NOTICE TO CREDITORS

The administration of the estate of James T. Daughtrey, Jr, deceased, whose date of death was March 13, 2023, is pending in the Circuit Court for Nassau County, Florida, Probate Division, the address of which is 76347 Veterans Way, Yulee, Florida 32097. The names and addresses of the personal representative and the personal representative’s attorney are set forth below.

All creditors of the decedent and other persons having claims or demands against decedent’s estate on whom a copy of this notice is required to be served must file their claims with this court ON OR BEFORE THE LATER OF 3 MONTHS AFTER THE TIME OF THE FIRST PUBLICATION OF THIS NOTICE OR 30 DAYS AFTER THE DATE OF SERVICE OF A COPY OF THIS NOTICE ON THEM. All other creditors of the decedent and other persons having claims or demands against decedent’s estate must file their claims with this court WITHIN 3 MONTHS AFTER THE DATE OF THE FIRST PUBLICATION OF THIS NOTICE.

ALL CLAIMS NOT FILED WITHIN THE TIME PERIODS SET FORTH IN FLORIDA STATUTES SECTION 733.702 WILL BE FOREVER BARRED. NOTWITHSTANDING THE TIME PERIODS SET FORTH ABOVE, ANY CLAIM FILED TWO (2) YEARS OR MORE AFTER THE DECEDENT’S DATE OF DEATH IS BARRED. The date of first publication of this notice is September 14, 2023.

Rd

20C THURSDAY, SEPTEMBER 14, 2023 JACKSONVILLE DAILY RECORD
Telephone:
Fax: (904)
E-Mail:
Secondary E-Mail: ashton.scott@ tolsonandassociates.com Sep. 7/14 36 (23-00313C)
(904) 269-0050
269-6119
office@tolsonandassociates.com
DIVISION File
FLORIDA, ACCORDING TO PLAT THEREOF RECORDED IN PLAT BOOK 10, PAGES 6 THROUGH 8
INSERTION IN THE CIRCUIT COURT FOR CLAY COUNTY, FLORIDA PROBATE DIVISION
No. 2023-CP-000424 Division A IN RE: ESTATE
SECOND
File
Kristen
E-mail
Florida Bar No. 13433 Law Office Kristen Drake, P. A. 1403 Park Ave, Suite B Fernandina Beach, FL 32034 Telephone: (904) 261-2860 Sep. 14/21 00 (23-00162N)
Personal Representative: Anne H. Daughtrey 5071 Falling Springs
Valdosta, Georgia 31602-5024 Attorney for Personal Representative:
D. Drake
Addresses: kristen@ kdrakelaw.com
INSERTION

PUBLIC NOTICES

FIRST INSERTION

Notice of Meetings

Heron Isles Community Development District

The Board of Supervisors of the Heron Isles Community Development District will hold their regularly scheduled public meetings for Fiscal Year 2024 at 5:00 p.m. at Florida State College at Jacksonville, Nassau Center, 76346 William Burgess Boulevard, Yulee, Florida 32097 on the third Tuesday of the following months

(*unless otherwise noted):

November 14, 2023

(*Second Tuesday)

February 20, 2024

May 21, 2024

August 20, 2024

The meetings are open to the public and will be conducted in accordance with the provision of Florida Law for Community Development Districts. The meetings may be continued to a date, time, and place to be specified on the record at the meeting. Copies of the agenda for these meetings may be obtained from Governmental Management Services, LLC, 475 West Town Place, Suite 114, St. Augustine, Florida 32092, (904) 940-5850 or by visiting the District’s website at www.HeronIslesCDD.com.

Pursuant to provisions of the Americans with Disabilities Act, any person requiring special accommodations at this meeting because of a disability or physical impairment should contact the District Office at (904) 9405850 at least 48 hours prior to the meeting. If you are hearing or speech impaired, please contact the Florida Relay Service by dialing 7-1-1, or 1-800-955-8771 (TTY) / 1-800-955-8770 (Voice), for aid in contacting the District Office. A person who decides to appeal any decision made at the meeting with respect to any matter considered at the meeting is advised that person will need a record of the proceedings and that accordingly, the person may need to ensure that a verbatim record of the proceedings is made, including the testimony and evidence upon which such appeal is to be based.

Daniel Laughlin District Manager

Sep. 14 00 (23-00161N)

FIRST INSERTION

Notice of Meetings

Amelia Concourse Community Development District

The Board of Supervisors of the Amelia Concourse Community Development District will hold their regular meetings for Fiscal Year 2024 at 11:00 a.m. at the Amelia Concourse Amenity Center, 85200 Amaryllis Court, Fernandina Beach, Florida 32034 on the third Tuesday of each month listed (*unless notated otherwise) as follows:

November 14, 2023

(*Second Tuesday)

January 16, 2024

March 19, 2024

April 16, 2024 (Budget Workshop Only)

May 21, 2024

July 16, 2024

September 17, 2024

The meetings are open to the public and will be conducted in accordance with the provision of Florida Law for Community Development Districts. The meetings may be continued to a date, time, and place to be specified on the record at the meeting. A copy of the agenda for these meetings may be obtained from Governmental Management Services, LLC, 475 West Town Place, Suite 114, St. Augustine, Florida 32092 or by calling (904) 940-5850.

Pursuant to provisions of the Americans with Disabilities Act, any person requiring special accommodations at the meetings because of a disability or physical impairment should contact the District Office at (904) 9405850 at least 48 hours prior to the meetings. If you are hearing or speech impaired, please contact the Florida Relay Service by dialing 7-1-1, or 1-800-955-8771 (TTY) / 1-800-955-8770 (Voice), for aid in contacting the District Office.

A person who decides to appeal any decision made at the meetings with respect to any matter considered at the meetings is advised that person will need a record of the proceedings and that accordingly, the person may need to ensure that a verbatim record of the proceedings is made, including the testimony and evidence upon which such appeal is to be based.

Daniel Laughlin

District Manager

Sep. 14 00 (23-00159N)

FIRST INSERTION

NOTICE Atlantic Self Storage PUBLIC

SALE will be on Thursday October 5th, 2023, at 10:00 AM location: 464017 E SR 200 Yulee FL 32097 – Unit 413 – Gloria Lynn Duncan; Unit 413 – Gloria L Duncan; Unit 499 – Christina Heathcott; Unit 904 – Dusty Vincent IMMEDIATELY FOLLOW-

ING: 450062 SR 200 Callahan FL 32011 – Unit 103 – Heather E Jackson; Unit 121 – Steven Harman; Unit 130 – Steven Harman; Unit 243 – Brandon Yantis; Unit 247 – Christopher Massie; Unit 305 – Allison P Dillman; Unit 565 – Paige V Wilsey; Unit 578 –Kenneth E Rewis (eBay products); Unit 727 – Joshua C.M. Long Those listed above are delinquent in rent and under FL Statute 83.806 the contents of their units will be sold at Public Sale with a 10% Buyer’s Premium. The above units contain household goods and personal items unless otherwise noted. All Vehicles are sold AS-IS, PARTS ONLY. Terms of sale are CASH ONLY, due at the end of each Public Sale.

Sep. 14/21 00 (23-00168N)

FIRST INSERTION INFORMAL REQUEST FOR PROPOSALS LANDSCAPE MAINTENANCE SERVICES

AMELIA WALK COMMUNITY DEVELOPMENT DISTRICT

Nassau County, Florida

Notice is hereby given that the Amelia Walk Community Development District (“District”) will accept proposals from qualified firms (“Proposers”) interested in providing landscape maintenance services, including (1) lawn care,

(2) irrigation maintenance, and

(3) pest control, fertilization, and weed control, all as more specifically set forth in the Project Manual. The Project Manual, including among other materials, contract documents, and project scope will be available beginning September 15, 2023 at 10:00 a.m. (EST). The Project Manual is available by emailing Kelly Mullins at ameliawalkmanager@ gmsnf.com with a copy to Courtney Hogge at chogge@gmsnf.com with the subject line “Amelia Walk CDD Landscaping – Project Manual Request.”

Proposal Requirements. An optional pre-proposal meeting will be held on September 25, 2023, at 11:00 a.m. (EST), at the Amelia Walk Amenity Center, 85287 Majestic Walk Boulevard, Fernandina Beach, Florida 32034. In order to submit a proposal, each Proposer must: (1) be authorized to do business in Florida; and (2) hold all required state and federal licenses in good standing. Site visits will also be available until the proposal due date during regular business hours.

Submission of Proposals

Firms desiring to provide services for this project must submit proposals no later than October 20, 2023 at 12:00 p.m. (noon) (EST), with one (1) digital copy by email to Kelly Mullins at ameliawalkmanager@gmsnf.com with a copy to Courtney Hogge at chogge@ gmsnf.com with the subject line “Amelia Walk CDD Landscaping –Proposal,” and two (2) hard copies delivered by mail or by hand to the Amelia Walk Clubhouse at 85287 Majestic Walk Blvd, Fernandina Beach, FL 32034; Attn: Kelly Mullins. Proposers are invited to submit a proposal for the entire scope or any portion thereof. The District will consider awarding multiple contracts for individual segments of the work. Protests. This is an informal bid process and there are no associated protest rights.

Evaluation of Proposals. In evaluating proposals, the District anticipates taking into account the evaluation factors identified in the Project Manual, but reserves the right to consider all informa tion available to the District and to award the contract(s) to the firm(s) determined to be the most advantageous to the District, in the District’s sole discretion. Price will be one factor used in deter mining the proposal that is in the best interest of the District, but the District explicitly reserves the right to make such award to other than the lowest price proposal(s).

The District has the right to reject any and all proposals and waive any technical errors, informalities or irregularities if it determines in its discretion it is in the best inter est of the District to do so. The District reserves the right to sub divide the work and/or to award multiple contracts if it is in the District’s best interests to do so.

Amelia Walk Community Development District Daniel Laughlin, District Manager Sep. 14

FIRST INSERTION

NOTICE UNDER FICTITIOUS NAME LAW

According to Florida Statute Number 865.09 NOTICE IS HEREBY GIVEN that the undersigned, desiring to engage in business under the Fictitious Name of BELLA CASTILLA BEANS located at 87319 BELL RIVER ESTATES RD, in the City of YULEE, NASSAU County, Florida 32097 intends to register the said name with the Division of Corporations of the Department of State, Tallahassee, Florida. Dated at Jacksonville, Florida, this 11th day of September, 2023. SUSAN RENEE CONKLIN Sep. 14 00 (23-00164N)

FIRST INSERTION IN THE CIRCUIT COURT FOR NASSAU COUNTY, FLORIDA PROBATE DIVISION File No. 2023-CP-440 Division - A IN RE: ESTATE OF JOSEPH M. KEATING, JR Deceased.

NOTICE TO CREDITORS

The administration of the estate of Joseph M. Keating, Jr, deceased, whose date of death was June 18, 2023, is pending in the Circuit Court for Nassau County, Florida, Probate Division, the address of which is 76347 Veterans Way, Yulee, Florida 32097. The names and addresses of the personal representative and the personal representative’s attorney are set forth below.

All creditors of the decedent and other persons having claims or demands against decedent’s estate on whom a copy of this notice is required to be served must file their claims with this court ON OR BEFORE THE LATER OF 3 MONTHS AFTER THE TIME OF THE FIRST PUBLICATION OF THIS NOTICE OR 30 DAYS AFTER THE DATE OF SERVICE OF A COPY OF THIS NOTICE ON THEM.

All other creditors of the decedent and other persons having claims or demands against decedent’s estate must file their claims with this court WITHIN 3 MONTHS AFTER THE DATE OF THE FIRST PUBLICATION OF THIS NOTICE.

ALL CLAIMS NOT FILED WITHIN THE TIME PERIODS SET FORTH IN FLORIDA STATUTES SECTION 733.702 WILL BE FOREVER BARRED.

NOTWITHSTANDING THE TIME PERIODS SET FORTH ABOVE, ANY CLAIM FILED TWO (2) YEARS OR MORE AFTER THE DECEDENT’S DATE OF DEATH IS BARRED.

The date of first publication of this notice is September 14, 2023.

Personal Representative: Songmi E. Keating 1578 Penbrook Dr Fernandina Beach, FL 32034 Attorney for Personal Representative:

Kristen D. Drake

E-mail Addresses: Kristen@kdrakelaw.com Florida Bar No. 13433

Law Office Kristen Drake, P.A. 1403 Park Ave, Suite B Fernandina Beach, Florida 32034 Telephone: (904) 261-2860 Sep. 14/21 00 (23-00166N)

NASSAU COUNTY SUBSEQUENT INSERTIONS

SECOND INSERTION

IN THE CIRCUIT COURT FOR NASSAU COUNTY, FLORIDA PROBATE DIVISION File No.:2023-CP-297 Division: A IN RE: ESTATE OF SUZANNE LEE MASSEY, Deceased. NOTICE TO CREDITORS (Formal Administration)

The administration of the estate of Suzanne Lee Massey, deceased, whose date of death was February 11, 2022, and whose case number is 2023-CP-297, is pending in the Circuit Court for Nassau County, Florida, Probate Division, the address of which is 76347 Veterans Ways, Yulee, Florida 32097. The names and addresses of the personal representative and the attorney are set forth below.

All creditors of the decedent and other persons having claims or demands against decedent’s estate on whom a copy of this notice is required to be served must file their claims with this court WITHIN THE LATER OF 3 MONTHS AFTER THE TIME OF THE FIRST PUBLICATION OF THIS NOTICE OR 30 DAYS AFTER THE DATE OF SERVICE OF A COPY OF THIS NOTICE ON THEM.

All other creditors of the decedent and other persons hav-

ing claims or demands against decedent’s estate must file their claims with this court WITHIN

3 MONTHS AFTER THE DATE OF THE FIRST PUBLICATION OF THIS NOTICE. ALL CLAIMS NOT FILED WITHIN THE TIME PERIODS SET FORTH IN SECTION 733.702 OF THE FLORIDA PROBATE CODE WILL BE FOREVER BARRED. NOTWITHSTANDING THE TIME PERIODS SET FORTH ABOVE, ANY CLAIM FILED TWO (2) YEARS OR MORE AFTER THE DECEDENT’S DATE OF DEATH IS BARRED. The date of first publication of this notice is September 7, 2023.

Personal Representative: Ashlyn Suzanne Haley

87144 Bell River Estates Rd. Yulee, Florida 32097

Attorney for Personal Representative:

/s/ D. Grant Leggett, Esq.

Florida Bar No.: 37611 Leggett Law Offices 301 W. Bay Street, Suite 1405 Jacksonville, FL 32202

Phone: (904) 281-9102

Fax: (904) 281-9119

Email:

grant@leggettlawoffices.com

Sep. 7/14 36 (23-00158N)

THIRD INSERTION

IN THE CIRCUIT COURT OF THE FOURTH JUDICIAL CIRCUIT, IN AND FOR NASSAU COUNTY, FLORIDA Case No.: 2023-DR-281 Division: C

IN RE: THE ADOPTION OF AUSTIN RILEY JOHNSON DOB 12/4/2006 DILLON REESE JOHNSON DOB 1/10/2008 Adoptee, a minor(s).

NOTICE OF ACTION FOR ADOPTION OF MINOR CHILD BY A RELATIVE TO: GREGORY DANIEL JOHNSON & ERICA DANIELLE JOHNSON NKA ERICA DANIELLE PETTY

Gregory Daniel Johnson 7149 Shindler Drive Jacksonville. FL 32222 Erica Petty 11397 Amon Rd. Jacksonville, FL 32220

YOU ARE NOTIFIED that a Petition for Adoption of a Minor Child(ren) by a Relative has been filed by Elizabeth Eby Johnson whose address is 431042 Keen Cemetery Rd. Callahan, FL 32011. A hearing in this matter will be held before the Honorable Judge HUGH A. CARITHERS on October 11, 2023, at 9:15 am in Hearing Room Grand Jury Room of the Robert M. Foster Justice Center 76347 Veterans Way, Yulee, FL 32097 The Court has reserved 15 minutes for this hearing. You may

object to this action by filing a written objection with the Clerk of the Circuit Court at Civil Department, 76347 Veterans Way, Yulee, FL 32097, or by appearing at the Hearing.

Copies of all court documents in this case, including orders, are available at the Clerk of the Circuit Court’s office. You may review these documents upon request.

You must keep the Clerk of the Circuit Court’s office notified of your current address. (You may file Notice of Current Address, Florida Supreme Court Approved Family Law Form 12.915.) Future papers in this lawsuit will be mailed to the address on record at the clerk’s office.

UNDER SECTION 63.089, FLORIDA STATUES, FAILURE TO APPEAR AT THE HEARING OR TO FILE A WRITTEN RESPONSE TO THIS NOTICE CONSTITUTES GROUNDS UPON WHICH THE COURT SHALL END ANY PARENTAL RIGHTS YOU MAY HAVE REGARDING THE MINOR CHILD.

Dated: August 22, 2023.

JOHN A. CRAWFORD CLERK OF THE CIRCUIT COURT

By: Tiffany Altman Deputy Clerk (Court Seal) Aug. 31, Sep. 7/14/21 37 (23-00152N)

THIRD INSERTION

IN THE CIRCUIT COURT OF THE FOURTH JUDICIAL CIRCUIT, IN AND FOR NASSAU COUNTY FLORIDA. CASE NO.: 45-2022-DP-10 IN THE INTEREST OF:

S. R. W. DOB: 05/25/2022

B. C. W. DOB: 03/09/2021

J. F. W. DOB: 01/20/2020

A. E. R. W. DOB: 11/11/2017

J. C. W. DOB: 08/23/2012

S. M. W. DOB: 10/07/2008

MINOR CHILDREN SUMMONS AND NOTICE OF ACTION BY PUBLICATION FOR TERMINATION OF PARENTAL RIGHTS

THE STATE OF FLORIDA

TO: Andrea Justina Watkins Kenith Colson Douberly Addresses unknown

YOU ARE HEREBY NOTIFIED that a Petition has been filed in the above-styled Court by the STATE OF FLORIDA DEPARTMENT OF CHILDREN AND FAMILIES for termination of parental rights and permanent commitment for subsequent adoption of S. R. W., a female child, born on May 25, 2022 in Nassau County, Florida;

B. C. W., a male child, born on March 9, 2021 in Nassau County, Florida; J. F. W., a female child, born on January 20, 2020 in Nassau County, Florida; A. E. R. W., a female child, born on November 11, 2017 in Duval County, Florida; J. C. W., a male child, born on August 23, 2012 Duval County, Florida; and S. M. W., a female child, born on October 7, 2008 Duval County, Florida You are hereby commanded to appear before the Circuit Judge Lester B. Bass at the Robert M. Foster Justice Center, 76347 Veterans Way, Courtroom A, Yulee Florida 32097 at the hour of 9:00 a.m. on October 13, 2023. You must appear at the hearing on the date and time specified.

FIRST INSERTION IN THE CIRCUIT COURT FOR THE SEVENTH JUDICIAL CIRCUIT IN AND FOR ST. JOHNS COUNTY, FLORIDA CIRCUIT CIVIL DIVISION

CASE NO.: CA22-0601

THE MONEY SOURCE INC. Plaintiff(s), vs. A CARL JOHNSON; et al., Defendant(s).

NOTICE OF FORECLOSURE SALE

NOTICE IS HEREBY GIVEN

THAT, pursuant to Plaintiff’s Final Judgment of Foreclosure entered on September 5, 2023 in the above-captioned action, the Clerk of Court, Brandon Patty, will sell to the highest and best bidder for cash at www.saintjohns.realforeclose.com in accordance with Chapter 45, Florida Statutes on the 12th day of October, 2023 at 12:00 PM on the following described property as set forth in said Final Judgment of Foreclosure or order, to wit: Lot 30, Block 2, Ponce de Leon Heights unit No. 1, according to the map or plat thereof, as recorded in Map Book 3, Page 73, of the Public Records of St. Johns County, Florida.

Property address: 2878 North 3rd Street, Saint Augustine, FL 32084

Any person claiming an interest in the surplus from the sale, if any, other than the property owner as of the date of the lis pendens, must file a claim before the clerk reports the surplus as unclaimed.

AMERICANS WITH DISABILITIES ACT. IF YOU ARE A PERSON WITH A DISABILITY WHO NEEDS AN ACCOMMODATION IN ORDER TO ACCESS COURT FACILITIES OR PARTICIPATE IN A COURT PROCEEDING, YOU ARE ENTITLED, AT NO COST TO YOU, TO THE PROVISION OF CERTAIN ASSISTANCE. TO REQUEST SUCH AN ACCOMMODATION, PLEASE CONTACT COURT ADMINISTRATION IN ADVANCE OF THE DATE THE SERVICE IS NEEDED: COURT ADMINISTRATION, 125 E. ORANGE AVE., STE. 300, DAYTONA BEACH, FL 32114, (386) 257-6096. HEARING OR VOICE IMPAIRED, PLEASE CALL 711. I HEREBY CERTIFY

YOUR FAILURE TO PERSONALLY APPEAR FOR THIS ADVISORY HEARING CONSTITUTES CONSENT TO THE TERMINATION OF PARENTAL RIGHTS TO THESE CHILDREN. IF YOU FAIL TO APPEAR ON THE DATE AND TIME SPECIFIED YOU MAY LOSE ALL LEGAL RIGHTS TO THE CHILDREN NAMED IN THE PETITION PURSUANT TO SECTION 39.801(3)(d), FLORIDA STATUTES. Pursuant to sections 39.802(4) (d) and 63.082(6)(g), Florida Statutes you are hereby informed of the availability of private placement with an adoption entity, as defined in section 63.032(3), Florida Statutes. You have the right to be represented by an attorney in this matter and by court-appointed counsel if you are indigent.

Individuals with disabilities needing a reasonable accommodation to participate in this proceeding should contact the ADA Coordinator as soon as possible, telephone (904) 548-4600; or if hearing or voice impaired call 711.

WITNESS my hand as clerk of said Court and the Seal thereof, this 28th day of August, 2023.

as Clerk of Said Court

(Court Seal)

L. Ann

Senior

Children’s Legal Services

Florida Bar No.: 0834394

STATE OF FLORIDA

DEPARTMENT OF CHILDREN AND FAMILIES 96026 Lofton Square Court Yulee, FL 32097

(904)557-9102 Aug, 31, Sep. 7/14/21 37 (23-00154N)

THURSDAY, SEPTEMBER 14, 2023 21C JACKSONVILLE DAILY RECORD
a true and correct copy of the foregoing has been furnished to all parties on the attached service list by e-Service or by First Class U.S. Mail on this 11th day of September, 2023: Respectfully submitted, PADGETT LAW GROUP HEATHER GRIFFITHS, ESQ. Florida Bar # 91444 6267 Old Water Oak Road, Suite 203 Tallahassee, FL 32312 (850) 422-2520 (telephone) (850) 422-2567 (facsimile) attorney@padgettlawgroup.com Attorney for Plaintiff Sep. 14/21 00 (23-00494J) ST. JOHNS COUNTY LEGAL NOTICES It’s All Here! Check It Out! www.jaxdailyrecord.com/ subscribe Subscribe Today! Get it all ...with just a click! JaxDailyRecord.com 904.356.2466 Daily Record JACKS ONVILLE Daily Record JACKS ONVILLE Daily Record JACKS ONVILLE Daily Record

PUBLIC NOTICES ST. JOHNS COUNTY

FIRST INSERTION

NOTICE OF AGENCY

ACTION TAKEN BY THE ST. JOHNS RIVER WATER MANAGEMENT DISTRICT

Notice is given that the following permit was issued on September 8, 2023.

2020 SJP Jax, LLC, 151 Sawgrass Corners Dr., Ponte Vedra, FL 32082, permit # 99058-4

The project is located in St. Johns County, Section 37, Township 7S, Range 29E. The permit authorizes a minor modification of Permit No. 99058-2 for 4-Mile Road Project Multi-Family Final Grading to include the construction and operation of a 30.26 acre(s) project as per plans received by the District on September 6, 2023.

The receiving water body is Red House Branch

A person whose substantial interests are or may be affected has the right to request an administrative hearing by filing a written petition with the St. Johns River Water Management District (District). Pursuant to Chapter 28-106 and Rule 40C-1.1007, Florida Administrative Code (F.A.C.), the petition must be filed (received) either by delivery at the office of the District Clerk at District Headquarters, P.O. Box 1429, Palatka FL 32178-1429 (4049 Reid St, Palatka, FL 32177) or by e-mail with the District Clerk at Clerk@sjrwmd.com, within twenty-one (21) days of newspaper publication of the notice of District decision (for those persons to whom the District does not mail or email actual notice). A petition must comply with Sections 120.54(5)(b)4. and 120.569(2)(c), Florida Statutes (F.S.), and Chapter 28-106, F.A.C. The District will not accept a petition sent by facsimile (fax). Mediation pursuant to Section 120.573, F.S., may be available and choosing mediation does not affect your right to an administrative hearing.

A petition for an administrative hearing is deemed filed upon receipt of the complete petition by the District Clerk at the District Headquarters in Palatka, Florida during the District’s regular business hours. The District’s regular business hours are 8 a.m. – 5 p.m., excluding weekends and District holidays. Petitions received by the District Clerk after the District’s regular business hours shall be deemed filed as of 8 a.m. on the District’s next regular business day. The District’s acceptance of petitions filed by e-mail is subject to certain conditions set forth in the District’s Statement of Agency Organization and Operation (issued pursuant to Rule 28-101.001, Florida Administrative Code), which is available for viewing at floridaswater.com. These conditions include, but are not limited to, the petition being in the form of a PDF or TIFF file and being capable of being stored and printed by the District.

Further, pursuant to the District’s Statement of Agency Organization and Operation, attempting to file a petition by facsimile (fax) is prohibited and shall not constitute filing.

The right to an administrative hearing and the relevant procedures to be followed are governed by Chapter 120, Florida Statutes, Chapter 28-106, Florida Administrative Code, and Rule 40C-1.1007, Florida Administrative Code. Because the administrative hearing process is designed to formulate final agency action, the filing of a petition means the District’s final action may be different from the position taken by it in this notice. Failure to file a petition for an administrative hearing within the requisite time frame shall constitute a waiver of the right to an administrative hearing. (Rule 28-106.111, F.A.C.).

If you wish to do so, please visit http://floridaswater.com/nor_ dec/ to read the complete Notice of Rights to determine any legal rights you may have concerning the District’s decision(s) on the permit application(s) described above. You can also request the Notice of Rights by contacting the Director of Regulatory Support, 4049 Reid St., Palatka, FL 321772529, tele. no. (386)329-4570. Sep. 14 00 (23-00495J)

NOTICE UNDER FICTITIOUS NAME LAW

According to Florida Statute Number 865.09

NOTICE IS HEREBY GIVEN that the undersigned, desiring to engage in business under the Fictitious Name of Serasana SilverLeaf located at 70 Silver Forest Drive Suite 108109, in the City of St Augustine, St Johns County, Florida 32092 intends to register the said name with the Division of Corporations of the Department of State, Tallahassee, Florida.

Dated at Jacksonville, Florida, this 8th day of September, 2023.

Sanavera Inc

By: Julie Saft Sep. 14 00 (23-00490J)

FIRST INSERTION

Notice of Sale Pursuant F.S. 328.17, United American Lien & Recovery as agent w/ power of attorney will sell the following vessel(s) to the highest bidder. Inspect 1 week prior @ marina; cash or cashier check; all auctions are held w/ reserve; any persons interested ph 954-563-1999

Sale Date October 6, 2023 @ 10:00 am 3411 NW 9th Ave #707 Ft Lauderdale FL 33309

V13008 1987 CRB FL4037RB Hull ID#: CDRN5019H687 inboard pleasure gas fiberglass 32ft R/O John Michael Stewart Paul Roy Barlow 3002 NW 6 St #2 Gainesville Lienor: Windward Camachee Marina 3070 Harbor Dr St Augustine Licensed Auctioneers FLAB422 FLAU765 & 1911 Sep. 14/21 00 (23-00487J)

MAP BOOK 96, PAGES 1 THROUGH 8, INCLUSIVE, OF THE PUBLIC RECORDS OF ST. JOHNS COUNTY, FLORIDA. has been filed against you and you are required to serve a copy of your written defenses, if any, to it on Diaz Anselmo & Associates, P.A., Plaintiff’s attorneys, whose address is P.O. BOX 19519, Fort Lauderdale, FL 33318, (954) 564-0071, answers@dallegal. com, within 30 days from first date of publication, and file the original with the Clerk of this Court either before service on Plaintiff’s attorneys or immediately thereafter; otherwise a default will be entered against you for the relief demanded in the complaint or petition.

In accordance with the Americans with Disabilities Act of 1990, persons needing special accommodation to participate in this proceeding should contact the Clerk of the Court not later than five business days prior to the proceeding at the St. Johns County Judicial Center. Telephone 941-823-2339 or 1-800-955-8770 via Florida Relay Service.

DATED on September 5, 2023.

Brandon Patty As Clerk of the Court

By: Paige Adam As Deputy Clerk 2491-192854 / DP Sep. 14/21 00 (23-00485J)

FIRST INSERTION

FIRST INSERTION IN THE CIRCUIT COURT, SEVENTH JUDICIAL CIRCUIT, IN AND FOR ST. JOHNS COUNTY, FLORIDA PROBATE DIVISION File No.: CP23-0696 Division: 59 IN RE: ESTATE OF JANIS LINDSEY FLOWERS, Deceased.

NOTICE TO CREDITORS

The administration of the estate of JANIS LINDSEY FLOWERS, deceased, whose date of death was August 8, 2023, is pending in the Circuit Court for St. Johns County, Florida, Probate Division, the address of which is 4010 Lewis Speedway, St. Augustine, Florida 32084. The names and addresses of the personal representative and the personal representative’s attorney are set forth below.

All creditors of the decedent and other persons having claims or demands against decedent’s estate on whom a copy of this notice is required to be served must file their claims with this court WITHIN THE LATER OF 3 MONTHS AFTER THE TIME OF THE FIRST PUBLICATION OF THIS NOTICE OR 30 DAYS AFTER THE DATE OF SERVICE OF A COPY OF THIS NOTICE ON THEM.

All other creditors of the decedent and other persons having claims or demands against decedent’s estate must file their claims with this court WITHIN

3 MONTHS AFTER THE DATE OF THE FIRST PUBLICATION OF THIS NOTICE. ALL CLAIMS NOT FILED WITHIN THE TIME PERIODS SET FORTH IN SECTION 733.702 OF THE FLORIDA PROBATE CODE WILL BE FOREVER BARRED. NOTWITHSTANDING THE TIME PERIODS SET FORTH

FIRST INSERTION IN THE CIRCUIT COURT OF THE SEVENTH JUDICIAL CIRCUIT IN AND FOR ST. JOHNS COUNTY, FLORIDA PROBATE DIVISION File No. CP23-0037 IN RE: ESTATE OF Danny Gene Clark a/k/a Danny G. Clark, Deceased.

NOTICE TO CREDITORS TO ALL PERSONS HAVING CLAIMS OR DEMANDS AGAINST THE ABOVE ESTATE:

The administration of the estate of Danny Gene Clark a/k/a Danny G. Clark, deceased, whose date of death was July 20, 2022, is pending the Circuit Court of St. Johns County, Florida, Probate Division, Case No. CP23-0037, the address of which is 4010 Lewis Speedway, St. Augustine, Florida 32084. The name and address of the petitioner and the petitioner’s attorney are set forth below.

All creditors of the decedent and other persons having claims or demands against decedent’s estate on whom a copy of this notice is required to be served must file their claims with this court ON OR BEFORE THE LATER OF 3 MONTHS AFTER THE TIME OF THE FIRST PUBLICATION OF THIS NOTICE OR 30 DAYS AFTER THE DATE OF SERVICE OF A COPY OF THE NOTICE ON THEM. All other creditors of the decedent and other persons having claims or demands against decedent’s estate must file their claims with this court WITHIN 3 MONTHS AFTER THE DATE OF THE FIRST PUBLICATION OF THIE NOTICE. ALL CLAIMS NOT FILED WITHIN THE TIME PERIODS SET FORTH IN THE FLORIDA STATUTES SECION 733.702 WILL BE FOREVER BARRED. NOT WITHSTANDING THE TIME PERIODS SET FORTH ABOVE, ANY CLAIM FILED TWO (2) YEARS OR MORE AFTER THE DECEDENT’S DATE OF DEATH IS BARRED. The date of first publication of this notice is September 14, 2023.

Angela Clark, Petitioner 3360 State Road 207 Elkton, Florida 32033

John M. Morgan

Attorney for Petitioner 9001 Daniels Parkway, Suite 201 Fort Myers, Florida 33912 Telephone (239)454-0572 Florida Bar Number 361402 jmmorgan@morgantitle.com Sep. 14/21 00 (23-00491J)

IN THE CIRCUIT COURT FOR ST. JOHNS COUNTY, FLORIDA PROBATE DIVISION File No. CP23-0692 Division 59 IN RE: ESTATE OF WILLIAM TETMEYER, Deceased.

NOTICE TO CREDITORS

The administration of the estate of WILLIAM TETMEYER, deceased, whose date of death was July 30, 2023, is pending in the Circuit Court for St. Johns County, Florida, Probate Division, the address of which is 4010 Lewis Speedway, St. Augustine, FL 32084. The names and addresses of the personal representative and the personal representative’s attorney are set forth below. All creditors of the decedent and other persons having claims or demands against decedent’s estate, on whom a copy of this notice is required to be served, must file their claims with this court ON OR BEFORE THE LATER OF 3 MONTHS AFTER THE TIME OF THE FIRST PUBLICATION OF THIS NOTICE OR 30 DAYS AFTER THE DATE OF SERVICE OF A COPY OF THIS NOTICE ON THEM.

All other creditors of the decedent and other persons having claims or demands against decedent’s estate must file their claims with this court WITHIN 3 MONTHS AFTER THE DATE OF THE FIRST PUBLICATION OF THIS NOTICE.

ALL CLAIMS NOT FILED WITHIN THE TIME PERIODS SET FORTH IN FLORIDA STATUTES SECTION 733.702 WILL BE FOREVER BARRED. NOTWITHSTANDING THE TIME PERIOD SET FORTH ABOVE, ANY CLAIM FILED TWO (2) YEARS OR MORE AFTER THE DECEDENT’S DATE OF DEATH IS BARRED.

The date of first publication of this notice is: September 14, 2023.

ANNE

FIRST INSERTION IN THE CIRCUIT COURT FOR ST. JOHNS COUNTY, FLORIDA File No. CP23-0595 Division 59 IN RE: ESTATE OF PATRICIA MARIE SAND Deceased.

NOTICE TO CREDITORS

The administration of the estate of Patricia Marie Sand, deceased, whose date of death was June 6, 2022, is pending in the Circuit Court for St. Johns County, Florida, Probate Division, the address of which is 4010 Lewis Speedway, St. Augustine, Florida 32084. The names and addresses of the personal representative and the personal representative’s attorney are set forth below.

All creditors of the decedent and other persons having claims or demands against decedent’s estate on whom a copy of this notice is required to be served must file their claims with this court WITHIN THE LATER OF 3 MONTHS AFTER THE TIME OF THE FIRST PUBLICATION OF THIS NOTICE OR 30 DAYS AFTER THE DATE OF SERVICE OF A COPY OF THIS NOTICE ON THEM.

All other creditors of the decedent and other persons having claims or demands against decedent’s estate must file their claims with this court WITHIN 3 MONTHS AFTER THE DATE OF THE FIRST PUBLICATION OF THIS NOTICE. ALL CLAIMS NOT FILED WITHIN THE TIME PERIODS SET FORTH IN SECTION 733.702 OF THE FLORIDA PROBATE CODE WILL BE FOREVER BARRED. NOTWITHSTANDING THE TIME PERIODS SET FORTH ABOVE, ANY CLAIM FILED TWO (2) YEARS OR MORE AFTER THE DECEDENT’S DATE OF DEATH IS BARRED.

The date of first publication of this notice is September 14, 2023.

FIRST INSERTION NOTICE UNDER FICTITIOUS NAME LAW According to Florida Statute Number 865.09 NOTICE IS HEREBY GIVEN that the undersigned, desiring to engage in business under the Fictitious Name of Luxury Oasis Living located at 155 Bartram Market Drive, Suite 135-248, in the City of St. Johns, St. Johns County, Florida 32259 intends to register the said name with the Division of Corporations of the Department of State, Tallahassee, Florida. Dated at Jacksonville, Florida, this 6th day of September, 2023. Beth Davis Sep. 14 00 (23-00486J)

FIRST INSERTION

NOTICE UNDER FICTITIOUS NAME LAW

According to Florida Statute Number 865.09 NOTICE IS HEREBY GIVEN that the undersigned, desiring to engage in business under the Fictitious Name of AVAIL ENGINEERING located at 2547 BUCK SWAMP ROAD, in the City of FORK, ST. JOHNS County, SC 29543 intends to register the said name with the Division of Corporations of the Department of State, Tallahassee, Florida. Dated at Jacksonville, Florida, this 11th day of September, 2023. GERALD MACAULAY BREY Sep. 14 00 (23-00492J)

ST. JOHNS COUNTY SUBSEQUENT INSERTIONS

SECOND INSERTION

NOTICE

Atlantic Self Storage PUBLIC

SALE will be on September 21, 2023 at 10:00 AM Starting loca-

tion: 65 Executive Way Ponte

Vedra Beach, FL 32082 – Unit 746 – Prashant Adi

IMMEDIATELY FOLLOW-

ING: 10450 US 1-N St. Augustine FL 32095 – Unit 606 – Bennie L Singleton; Unit 848 – Kimberly Packo-Johnson; Unit 606 – Bennie L Singleton II; Unit 848

– Kimberly Packo

IMMEDIATELY FOLLOW-

ING: 2900 FL-16 St. Augustine, FL 32092 – Unit 1072 – Sir Hawk B St John; Unit 2078 –

Stacy Taylor; Unit 232 – Andrew

Voyles(Tools); Unit 305 – Jimmie

Dee Wells III(Tools); Unit 629 –

Adam Riggs

IMMEDIATELY FOLLOW-

ING: 1975 SR-16 St. Augustine FL 32084 – Unit 216 – Jenni-

fer Malard; Unit 216 – Jennifer

Malard Diaz; Unit 229 – Ashley

Nicole Hale; Unit 232 – Lillie

COURT OF THE SEVENTH JUDICIAL CIRCUIT IN AND FOR ST. JOHNS COUNTY, FLORIDA File No: CP23-0684 Division: 59 IN RE: ESTATE OF MARJIE B. WOOD Deceased. NOTICE TO CREDITORS

If you have been served with a copy of this notice and you have any claim or demand against the decedent’s estate, even if that claim is unmatured, contingent, or unliquidated, you must file your claim with the court ON OR BEFORE THE LATER OF A DATE THAT IS 3 MONTHS AFTER THE FIRST PUBLICATION OF THIS NOTICE OR 30 DAYS AFTER YOU RECEIVE A COPY OF THIS NOTICE.

All other creditors of the decedent and other persons who have claims or demands against the decedent’s estate, including unmatured, contingent, or unliquidated claims, must file their claims with the court ON OR BEFORE THE DATE THAT IS 3 MONTHS

AFTER THE FIRST PUBLICATION OF THIS NOTICE.

ALL CLAIMS NOT FILED WITHIN THE PERIODS SET FORTH IN SECTION 733.702, FLORIDA STATUTES, WILL BE BARRED.

Samantha Stephens; Unit 500 –Lalisa Regina Hayes; Unit 602 –Stephanie Mier; Unit 903 – Loretta A Sparrow

IMMEDIATELY FOLLOWING: 1865 A1A S St. Augustine, FL 32080 – Unit 247 – Courtney B Connor; Unit 3324 – Janine M Kallenberger(Golf Clubs, Records, etc.)

IMMEDIATELY FOLLOWING: 3990 US 1-South St. Augustine, FL 32086 – Unit 209 – Marion R Johnson; Unit 520 –Barrett Cleat Norton

Those listed above are delinquent in rent and under FL Statute 83.806 the contents of their units will be sold at Public Sale with a 10% Buyer’s Premium. The above units contain household goods and personal items unless otherwise noted. All Vehicles are sold AS-IS, PARTS ONLY. Terms of sale are CASH ONLY, due at the end of each Public Sale. Sep. 7/14 38 (23-00470J)

EVEN IF A CLAIM IS NOT BARRED BY THE LIMITATIONS DESCRIBED ABOVE, ALL CLAIMS THAT HAVE NOT BEEN FILED WILL BE BARRED TWO YEARS AFTER DECEDENT’S DEATH.

The address of the court where this probate is pending is: St. Johns County Clerk of the Circuit Court, 4010 Lewis Speedway, St. Augustine, Florida 32084

The date of death of the decedent is: July 8, 2023

The date of first publication of this notice is: September 7, 2023.

PERSONAL REPRESENTATIVE: Mark Wood 1286 Ponte Vedra Boulevard Ponte Vedra Beach, FL 32082 ATTORNEYS FOR PERSONAL REPRESENTATIVE:

David J. Hull, Esq. Maxwell D. Potter, Esq. Florida Bar No. 278343 Florida Bar No. 1026821

SMITH HULSEY & BUSEY One Independent Drive, Suite 3300 Jacksonville, FL 32202 Telephone: 904-359-7700 dhull@smiththulsey.com mpotter@smithhulsey.com

Attorney for Personal Representative Sep. 7/14 37 (23-00482J)

SECOND INSERTION

IN THE CIRCUIT COURT OF THE 7TH JUDICIAL CIRCUIT IN AND FOR ST. JOHNS COUNTY, FLORIDA File No.: 55-2023CP000655A000XX

Probate Division: 59 IN RE: THE ESTATE OF JANICE JOAN SMITH

Deceased.

NOTICE TO CREDITORS (Single Personal Representative)

The administration of the Estate of JANICE JOAN SMITH, deceased, whose date of death was July 19, 2022, File Number: as referenced above, is pending in the Circuit Court for St. Johns County, Florida, Probate Division, the address of which is 4010 Lewis Speedway, St. Augustine, FL 32084. The names and addresses of the Personal Representative and the Personal Representative’s attorney are set forth below.

All Creditors of Decedent and other persons having claims or demands against Decedent’s Estate, including unmatured, contingent or unliquidated claims, on whom a copy of this Notice is served must file their claims with this Court WITHIN THE LATER OF 3 MONTHS AFTER THE DATE OF THE FIRST PUBLICATION OF THIS NOTICE OR 30 DAYS AFTER THE DATE OF SERVICE OF A COPY OF THIS NOTICE ON THEM.

All other creditors of the Decedent and other persons having claims or demands against Decedent’s Estate, including unmatured, contingent or unliquidated claims, must file their claims with this Court WITHIN 3 MONTHS AFTER THE DATE OF THE FIRST PUBLICATION OF THIS NOTICE. ALL CLAIMS NOT FILED WITHIN THE TIME PERIODS SET FORTH IN §733.702 OF THE FLORIDA PROBATE CODE WILL BE FOREVER BARRED. NOTWITHSTANDING THE TIME PERIODS SET FORTH ABOVE, ANY CLAIM FILED TWO (2) YEARS OR MORE AFTER THE DECEDENT’S DATE OF DEATH IS BARRED. The date of first publication of this notice is:

22C THURSDAY, SEPTEMBER 14, 2023 JACKSONVILLE DAILY RECORD
Personal Representative:: BRAD A. SMITH 2 Courtfield Place Mauldin, SC 29662 Attorney for Personal Representative: ADAM S. GUMSON JUPITER LAW CENTER RiverPlace Professional Center 1003 W. Indiantown Road –Suite 210 Jupiter, Florida 33458-6851 Telephone :(561) 744 - 4600 Florida Bar No.: 906948 E-mail: asg@jupiterlawcenter.com Sep. 7/14 37 (23-00483J) SECOND INSERTION IN THE CIRCUIT
September 7, 2023.
FIRST INSERTION
TWO
The
14,
Personal Representative: MARK E. PARSONS 8 Seascape Drive St. Augustine, FL 32080 Attorney for Personal Representatives: ROBIN H. CONNER Florida Bar No. 353361 255 W. King Street, Suite 204 St. Augustine, FL 32084 Telephone: (904) 829-0511 FAX: (904) 907-1117 pa133@bellsouth.net Sep. 14/21 00 (23-00489J)
ABOVE, ANY CLAIM FILED
(2) YEARS OR MORE AFTER THE DECEDENT’S DATE OF DEATH IS BARRED.
date of first publication of this notice is September
2023.
Personal
704 Berkshire Terrace St. Augustine,
Jonathan L. Hay Attorney for Personal Representative Florida Bar No. 456586 PURCELL, FLANAGAN, HAY & GREENE, P.A. 1548 Lancaster Terrace Jacksonville, Florida 32204 Telephone: (904) 355-0355 Email: jhay@pfhglaw.com Secondary Email: jfarmer@pfhglaw.com Sep. 14/21 00 (23-00488J)
M. ORNER
Representative
FL 32092
Personal Representative: Mike Jorgensen 2318 Park Street Jacksonville, Florida 32204 Attorney for Personal Representative: James Adam Owens Attorney for Personal Representative Florida Bar Number: 70199 Senior Counsel Attorneys at Law, PA 2318 Park Street Jacksonville, FL 32204 Telephone: (904) 619 8890 Fax: (904) 683 8250 Sep. 14/21 00 (23-00493J) FIRST INSERTION IN THE CIRCUIT
OF THE SEVENTH JUDICIAL CIRCUIT IN AND FOR ST. JOHNS
CIVIL DIVISION
UNKNOWN TENANT NO.
UNKNOWN TENANT NO.
and ALL UNKNOWN PARTIES CLAIMING INTERESTS
THROUGH, UNDER
AGAINST
NAMED
TO THIS
HAVING
CLAIMING TO
RIGHT, TITLE OR INTEREST IN THE PROPERTY HEREIN DESCRIBED, Defendant(s). NOTICE OF ACTION TO: MICHAEL D. REYES Last Known Address 10325 CAMINTO CUERVO UNIT 182 SAN DIEGO, CA 92108 Current Residence is Unknown YOU ARE NOTIFIED that an action to foreclose a mortgage on the following described property in St. Johns County, Florida: LOT 15B, CHASEWOOD, ACCORDING TO MAP OR PLAT AS RECORDED IN
COURT
COUNTY, FLORIDA.
CASE NO. 552023CA001405A000XX FLAGSTAR BANK, N.A., Plaintiff, vs. MICHAEL D. REYES; CHASEWOODS HOMEOWNERS ASSOCIATION, INC.;
1;
2;
BY,
OR
A
DEFENDANT
ACTION, OR
OR
HAVE ANY
Accurate. Reliable. Fast. It’s Our Way of Reporting! 904.356.2466 www.jaxdailyrecord.com Daily Record Daily Record Daily Record Daily Record Accurate. Reliable. Fast. It’s Our Way of Reporting! 904.356.2466 www.jaxdailyrecord.com Daily Record JACKS ONVILLE Daily Record Daily Record Daily Record JACKS ONVILLE

IN THE CIRCUIT COURT SEVENTH JUDICIAL CIRCUIT ST. JOHNS COUNTY, FLORIDA

CASE NO.: 23-0685-CP

IN RE: ESTATE OF ROBERT MCHENRY FIELDS, Deceased.

NOTICE TO CREDITORS

The administration of the Estate of Robert M. Fields, deceased, whose date of death was July 12, 2023, is pending in the Circuit Court for St. Johns County, Florida, Probate Division, the address of which is 4010 Lewis Speedway, St. Augustine, Florida 32804. The names and addresses of the personal representative and the personal representative’s attorney are set forth below.

All creditors of the decedent and other persons having claims or demands against decedent’s estate

IN THE CIRCUIT COURT, SEVENTH JUDICIAL CIRCUIT, IN AND FOR ST. JOHNS COUNTY, FLORIDA CASE NO.: CP23-0700 DIVISION: 59 IN RE: ESTATE OF GERRY CHARLES MCKIM, Deceased. NOTICE TO CREDITORS

If you have been served with a copy of this notice and you have any claim or demand against the decedent’s estate, even if that claim is unmatured, contingent, or unliquidated, you must file your claim with the court ON OR BEFORE THE LATER OF A DATE THAT IS 3 MONTHS AFTER THE FIRST PUBLICATION OF THIS NOTICE OR 30 DAYS AFTER YOU RECEIVE A COPY OF THIS NOTICE.

All other creditors of the dece-

IN THE CIRCUIT COURT FOR ST. JOHNS COUNTY, FLORIDA PROBATE DIVISION

File No. CP23-0694

Division 59 IN RE: ESTATE OF SOPHIA MEGAFFIN

Deceased.

NOTICE TO CREDITORS

The administration of the estate of Sophia Megaffin, deceased, whose date of death was November 13, 2022, is pending in the Circuit Court for St. Johns County, Florida, Probate Division, the address of which is 4010 Lewis Speedway, St. Augustine, Florida 32084. The names and addresses of the personal representative and the personal representative’s attorney are set forth below.

All creditors of the decedent and other persons having claims or demands against decedent’s estate on whom a copy of this notice is

IN THE CIRCUIT COURT FOR ST. JOHNS COUNTY, FLORIDA PROBATE DIVISION

File No. 2023-CP-588 Division: 59

IN RE: ESTATE OF CARY HART, Deceased.

NOTICE TO CREDITORS

The administration of the estate of CARY HART, whose full legal name was CARY STEVEN HART, deceased, whose date of death was June 27, 2023, is pending in the Circuit Court for St. Johns County, Florida, Probate Division, the address of which is 4010 Lewis Speedway, St. Augustine, Florida 32084. The names and addresses of the Personal Representative and the Personal Representative’s attorneys are set forth below.

All creditors of the Decedent and other persons having claims or demands against Decedent’s estate, on whom a copy of this

SECOND INSERTION

on whom a copy of this notice is required to be served must file their claims with this court ON OR BEFORE THE LATER OF

3 MONTHS AFTER THE TIME OF THE FIRST PUBLICATION OF THIS NOTICE OR 30 DAYS AFTER THE DATE OF SERVICE OF A COPY OF THIS NOTICE ON THEM.

All other creditors of the decedent and other persons having claims or demands against decedent’s estate must file their claims with this court WITHIN 3 MONTHS AFTER THE DATE OF THE FIRST PUBLICATION OF THIS NOTICE. ALL CLAIMS NOT FILED WITHIN THE TIME PERIODS SET FORTH IN FLORIDA STATUTES SECTION 733.702 WILL BE FOREVER BARRED. NOTWITHSTANDING THE

SECOND INSERTION

dent and other persons who have claims or demands against the decedent’s estate, including unmatured, contingent, or unliquidated claims, must file their claims with the court ON OR BEFORE THE DATE THAT IS 3 MONTHS AFTER THE FIRST PUBLICATION OF THIS NOTICE. ALL CLAIMS NOT FILED WITHIN THE PERIODS SET FORTH IN SECTION 733.302, FLORIDA STATUTES, WILL BE FOREVER BARRED. EVEN IF A CLAIM IS NOT BARRED BY THE LIMITATIONS DESCRIBED ABOVE, ALL CLAIMS THAT HAVE NOT BEEN FILED WILL BE BARRED TWO YEARS AFTER DECEDENT’S DEATH. The address of the court where this probate is pending is: 4010 Lewis Speedway, St. Augustine,

SECOND INSERTION

required to be served must file their claims with this court ON OR BEFORE THE LATER OF 3 MONTHS AFTER THE TIME OF THE FIRST PUBLICATION OF THIS NOTICE OR 30 DAYS AFTER THE DATE OF SERVICE OF A COPY OF THIS NOTICE ON THEM.

All other creditors of the decedent and other persons having claims or demands against decedent’s estate must file their claims with this court WITHIN

3 MONTHS AFTER THE DATE OF THE FIRST PUBLICATION OF THIS NOTICE.

ALL CLAIMS NOT FILED WITHIN THE TIME PERIODS SET FORTH IN FLORIDA STATUTES SECTION 733.702 WILL BE FOREVER BARRED. NOTWITHSTANDING THE TIME PERIODS SET FORTH ABOVE, ANY CLAIM FILED

SECOND INSERTION

notice is required to be served, must file their claims with this court ON OR BEFORE THE LATER OF 3 MONTHS AFTER THE TIME OF THE FIRST PUBLICATION OF THIS NOTICE OR 30 DAYS AFTER THE DATE OF SERVICE OF A COPY OF THIS NOTICE ON THEM.

All other creditors of the Decedent and other persons having claims or demands against Decedent’s estate must file their claims with this court WITHIN 3 MONTHS AFTER THE DATE OF THE FIRST PUBLICATION OF THIS NOTICE.

ALL CLAIMS NOT FILED WITHIN THE TIME PERIODS SET FORTH IN FLORIDA STATUTES SECTION 733.702 WILL BE FOREVER BARRED. NOTWITHSTANDING THE TIME PERIOD SET FORTH ABOVE, ANY CLAIM FILED TWO (2) YEARS OR MORE

SECOND INSERTION IN THE CIRCUIT COURT, SEVENTH JUDICIAL CIRCUIT, IN AND FOR ST. JOHNS COUNTY, FLORIDA

CASE NO.: CP23-0653 DIVISION: 59 IN RE: ESTATE OF WILLIAM FRANCIS O’DONOHUE, JR. AKA WLLIAM F. O’DONOHUE AKA WILLIAM ODONOHUE, Deceased.

NOTICE TO CREDITORS

The administration of the estate of William Francis O’Donohue, Jr., aka William F. O’Donohue aka William Odonohue, deceased, whose date of death was June 21, 2023, is pending in the Circuit Court for St. Johns County, Florida, Probate Division, the address of which is 4010 Lewis Speedway, St. Augustine, FL 32084. The names and addresses of the personal representative and the personal representative’s attorney are set forth below.

TIME PERIODS SET FORTH ABOVE, ANY CLAIM FILED

TWO (2) YEARS OR MORE AFTER THE DECEDENT’S DATE OF DEATH IS BARRED.

The date of first publication of this notice is September 7, 2023.

Personal Representative: Judith P. Fields

Attorney for Personal Representative:

PRESTON J. FIELDS, P.A.

Inventory Attorney 11211 Prosperity Farms Road, Suite C-301 Palm Beach Gardens, Florida 33410

Telephone: (561) 799-9910

Facsimile: (561) 799-0388

/s/ Preston J. Fields, Sr. PRESTON J. FIELDS, SR. Florida Bar Number: 0867616 E-mail: pfields@fields-law.com

Sep. 7/14 37 (23-00484J)

FL 32084.

The date of death of the decedent is: August 10, 2023.

The date of first publication of this notice is: September 7, 2023.

Petitioner:

Shane McKim

c/o Law Offices of Mark F. Moss, PLLC 12276 San Jose Blvd., Suite 520 Jacksonville, FL 32223 Attorney for Petitioner MARK F. MOSS, ESQ. Florida Bar Number: 119573

Law Offices of Mark F. Moss, PLLC 12276 San Jose Blvd., Suite 520 Jacksonville, FL 32223 Telephone: (904) 329-7242

E-Mail 1: Service@markmosslaw.com

E-Mail 2: mark@markmosslaw.com

Sep. 7/14 38 (23-00477J)

TWO (2) YEARS OR MORE AFTER THE DECEDENT’S DATE OF DEATH IS BARRED.

The date of first publication of this notice is September 7, 2023.

Personal Representative: Kevin M. McDonald 1005 Bella Vista Boulevard, Apt. 131 St. Augustine, FL 32084

Attorney for Personal Representative: JACKSON LAW GROUP

/s/ Andrew Jackson Andrew Jackson, Esq. Florida Bar Number: 27968 1301 Plantation Island Drive, Suite 304 St. Augustine, Florida 32080

Telephone: (904) 823-3333

Email: ajackson@jacksonlawgroup.com

Secondary: jeannie@jacksonlawgroup.com

Sep. 7/14 38 (23-00471J)

AFTER THE DECEDENT’S DATE OF DEATH IS BARRED.

The date of first publication of this notice is: September 7, 2023. Signed on this 22nd day of July, 2023.

DOUGLAS HART

Personal Representative 77 Greenway Drive Irvington, NY 10533

ROBERT H. TRUDEAU

Florida Bar No. 0889091

KRISTINE M. SCOTT Florida Bar No. 125993

Attorneys for Personal Representative

PURCELL, FLANAGAN, HAY & GREENE, P.A.

1548 Lancaster Terrace Jacksonville, Florida 32204

Telephone: (904) 355-0355

Email: RTrudeau@pfhglaw.com

Email: KScott@pfhglaw.com

Secondary Email: LCallahan@pfhglaw.com Sep. 7/14 38 (23-00472J)

TIME PERIODS

All creditors of the decedent and other persons having claims or demands against decedent’s estate on whom a copy of this notice is required to be served must file their claims with this court ON OR BEFORE THE LATER OF

3 MONTHS AFTER THE TIME OF THE FIRST PUBLICATION OF THIS NOTICE OR 30 DAYS AFTER THE DATE OF SERVICE OF A COPY OF THIS NOTICE ON THEM.

All other creditors of the decedent and other persons having claims or demands against decedent’s estate must file their claims with this court WITHIN

3 MONTHS AFTER THE DATE OF THE FIRST PUBLICATION OF THIS NOTICE. ALL CLAIMS NOT FILED

SECOND INSERTION

IN THE CIRCUIT COURT OF THE SEVENTH JUDICIAL CIRCUIT, IN AND FOR ST. JOHNS COUNTY, FLORIDA PROBATE DIVISION

File Number: CP23-0693 Division: 59 IN RE: THE ESTATE OF KATHLEEN ELIZABETH SPEARS, Deceased.

NOTICE TO CREDITORS

The administration of the estate of Kathleen Elizabeth Spears, deceased, whose date of death was December 29, 2022, is pending in the Circuit Court for St. Johns County, Florida, Probate Division, the address of which is 4010 Lewis Speedway, St. Augustine, FL 32084. The names and addresses of the personal representative and the personal representative’s attorney are set forth below. All creditors of the Decedent and other persons having claims or demands against Decedent’s estate on whom a copy of this notice is required to be served must file their claims with this Court WITHIN THE LATER OF 3 MONTHS AFTER THE TIME OF THE FIRST PUBLICATION OF THIS NOTICE OR 30 DAYS AFTER THE DATE OF SERVICE OF A COPY OF THIS NOTICE ON THEM. All other creditors of the Decedent and other persons hav-

ing claims or demands against Decedent’s estate must file their claims with this Court WITHIN

3 MONTHS AFTER THE DATE OF THE FIRST PUBLICATION OF THIS NOTICE. ALL CLAIMS NOT FILED WITHIN THE TIME PERI-

ODS SET FORTH IN SECTION

733.702 OF THE FLORIDA

PROBATE CODE WILL BE FOREVER BARRED. NOTWITHSTANDING THE TIME PERIODS SET FORTH ABOVE, ANY CLAIM FILED

TWO (2) YEARS OR MORE AFTER THE DECEDENT’S DATE OF DEATH IS BARRED.

The date of first publication of this notice is September 7, 2023.

Personal Representative

Harold David Spears

1146 Harmony Drive S. Fruit Cove, FL 32259

THE HINSON LAW FIRM, P.A.

Matthew H. Hinson, Esq. Florida Bar No. 94017

Kathryn E. Stanfill, Esq. Florida Bar No. 1002636

300 West Adams St., Suite 500

Jacksonville, FL 32202

Phone: 904-527-1700

Fax: 904-355-8088

Matt@HinsonLawPA.com

Kathryn@HinsonLawPA.com

Attorney for

Personal Representative

Sep. 7/14 37 (23-00480J)

SECOND INSERTION

IN THE CIRCUIT COURT OF THE SEVENTH JUDICIAL CIRCUIT, IN AND FOR ST. JOHNS COUNTY, FLORIDA PROBATE DIVISION

File Number: CP23-0414 Division: 59 IN RE: THE ESTATE OF ERICK XAVIER ORTIZ, Deceased. NOTICE TO CREDITORS

The administration of the estate of Erick Xavier Ortiz, deceased, whose date of death was April 30, 2023, is pending in the Circuit Court for St. Johns County, Florida, Probate Division, the address of which is 4010 Lewis Speedway, St. Augustine, FL 32084. The names and addresses of the personal representative and the personal representative’s attorney are set forth below.

All creditors of the Decedent and other persons having claims or demands against Decedent’s estate on whom a copy of this notice is required to be served must file their claims with this Court WITHIN THE LATER OF 3 MONTHS AFTER THE TIME OF THE FIRST PUBLICATION OF THIS NOTICE OR 30 DAYS AFTER THE DATE OF SERVICE OF A COPY OF THIS NOTICE ON THEM.

All other creditors of the Decedent and other persons hav-

ing claims or demands against Decedent’s estate must file their claims with this Court WITHIN 3 MONTHS AFTER THE DATE OF THE FIRST PUBLICATION OF THIS NOTICE. ALL CLAIMS NOT FILED WITHIN THE TIME PERIODS SET FORTH IN SECTION 733.702 OF THE FLORIDA PROBATE CODE WILL BE FOREVER BARRED. NOTWITHSTANDING THE TIME PERIODS SET FORTH ABOVE, ANY CLAIM FILED TWO (2) YEARS OR MORE AFTER THE DECEDENT’S DATE OF DEATH IS BARRED. The date of first publication of this notice is September 7, 2023.

Personal Representative

Loreinly Rentas Santiago 241 North Aberdeenshire Drive St. Johns, FL 32259

THE HINSON LAW FIRM, P.A.

Matthew H. Hinson, Esq.

Florida Bar No. 94017

Kathryn E. Stanfill, Esq.

Florida Bar No. 1002636 300 West Adams St., Suite 500

Jacksonville, FL 32202

Phone: 904-527-1700

Fax: 904-355-8088

Matt@HinsonLawPA.com

Kathryn@HinsonLawPA.com

Attorney for Personal Representative Sep. 7/14 37 (23-00481J)

THIRD INSERTION IN THE CIRCUIT COURT, FOURTH JUDICIAL CIRCUIT, IN AND FOR DUVAL COUNTY, FLORIDA CASE NO.: 16-2023-DR-004533-FM

DIVISION: FM-E IN THE MATTER OF THE TERMINATION OF PARENTAL RIGHTS OF: EMILY CHARLOTTE BURNS IN THE MATTER OF THE ADOPTION OF: EMILY CHARLOTTE BURNS ENGEBRETSEN NOTICE OF ACTION OF PETITION AND HEARING TO TERMINATE PARENTAL RIGHTS PENDING ADOPTION

TO: Joseph Sakowski

Last known address: 425 Island View Circle, St. Augustine, Florida 32095

Information believed to be a correct description of the individual listed above:

Physical description:

Age: 35 Race: White Hair color: Brown

Eye Color: Hazel

Approximate height: 5’10”

Approximate weight: 200lbs

PLEASE TAKE NOTICE that a Petition to Terminate Parental Rights and Stepparent Adoption pending adoption of your child, Emily Charlotte Burns, a female, born on May 28, 2016, in Jacksonville, Florida has been filed in the above-styled case. There will be a hearing on the Petition to Terminate Parental Rights and Stepparent Adoption on the 26th

AND FOR ST. JOHNS COUNTY, FLORIDA PROBATE DIVISION File No. CP23-683 Division 59 IN RE: ESTATE OF GAYLE SUE RUSSELL, Deceased.

NOTICE TO CREDITORS

The administration of the estate of GAYLE SUE RUSSELL, deceased, whose date of death was July 19, 2023, is pending in the Circuit Court for St. Johns County, Florida, Probate Division, the address of which is 4010 Lewis Speedway, St. Augustine, FL 32084. The names and addresses of the personal representative and the personal representative’s attorney are set forth below.

All creditors of the decedent and other persons having claims or demands against decedent’s estate on whom a copy of this notice is required to be served must file their claims with this court ON OR BEFORE THE LATER OF 3 MONTHS AFTER THE TIME OF THE FIRST PUBLICATION OF THIS NOTICE OR 30 DAYS AFTER THE DATE OF SERVICE OF A COPY OF THIS NOTICE ON THEM.

All other creditors of the decedent and other persons having claims or demands against decedent’s estate must file their claims with this court WITHIN 3 MONTHS AFTER THE DATE OF THE FIRST PUBLICATION OF THIS NOTICE. ALL CLAIMS NOT FILED WITHIN THE TIME PERIODS SET FORTH IN FLORIDA STATUTES SECTION 733.702 WILL BE FOREVER BARRED. NOTWITHSTANDING THE TIME PERIOD SET FORTH ABOVE, ANY CLAIM FILED TWO (2) YEARS OR MORE AFTER THE DECEDENT’S DATE OF DEATH IS BARRED. The date of first publication of this notice is September 7, 2023.

Personal Representative: DAVID RUSSELL 376 Flowers Dr. Balirsville, GA 30512

Attorney for Personal Representative: Heather S. Maltby HEATHER@EPPGLAW.COM

Florida Bar No. 116571

E.P.P.G. Law of St. Johns, PLLC 200 Malaga Street, Suite 2 St. Augustine, FL 32084

Telephone: 904-875-3774

Sep. 7/14 38 (23-00474J)

SECOND INSERTION IN THE CIRCUIT COURT, SEVENTH JUDICIAL CIRCUIT, IN AND FOR ST. JOHNS COUNTY, FLORIDA PROBATE DIVISION File No.: CP23-0593 Division: 59 IN RE: ESTATE OF THERESA M. SADLER Deceased.

NOTICE TO CREDITORS

day of October, 2023, at 10:00 o’clock a.m., before the Honorable Maureen T. Horkan, via Zoom video conferencing, meeting ID: 685 680 5439. The Court has set aside fifteen (15) minutes for the hearing.

You are required to serve a copy of your written defenses, if any, on it to the Adoption Entity whose name and address is Michael A. Shorstein, Esquire, Shorstein & Kelly, Adoption Attorneys, 3821 Atlantic Blvd, Jacksonville, Florida 32207, telephone (904) 3486400, and file an original with the Clerk of the above-styled Court at 501 West Adams Street, Jacksonville, Florida 32202, telephone (904) 255-2000, on or before October 12, 2023. UNDER SECTION 63.089, FLORIDA STATUTES, FAILURE TO TIMELY FILE A WRITTEN RESPONSE TO THIS NOTICE AND THE PETITION WITH THE COURT AND TO APPEAR AT THIS HEARING CONSTITUTES GROUNDS UPON WHICH THE COURT SHALL END ANY PARENTAL RIGHTS YOU MAY HAVE OR ASSERT REGARDING THE MINOR CHILD.

Witness my hand and seal this 28th day of August, 2023.

CLERK OF THE COURT

The administration of the estate of THERESA M. SADLER, deceased, whose date of death was January 10, 2023, is pending in the Circuit Court for St. Johns County, Florida, Probate Division, the address of which is 4010 Lewis Speedway, St. Augustine, Florida 32084. The names and addresses of the personal representative and the personal representative’s attorney are set forth below. All creditors of the decedent and other persons having claims or demands against decedent’s estate on whom a copy of this notice is required to be served must file their claims with this court WITHIN THE LATER OF 3 MONTHS AFTER THE TIME OF THE FIRST PUBLICATION OF THIS NOTICE OR 30 DAYS AFTER THE DATE OF SERVICE OF A COPY OF THIS NOTICE ON THEM.

All other creditors of the decedent and other persons having claims or demands against decedent’s estate must file their claims with this court WITHIN 3 MONTHS AFTER THE DATE OF THE FIRST PUBLICATION OF THIS NOTICE. ALL CLAIMS NOT FILED WITHIN THE TIME PERIODS SET FORTH IN SECTION 733.702 OF THE FLORIDA PROBATE CODE WILL BE FOREVER BARRED. NOTWITHSTANDING THE TIME PERIODS SET FORTH ABOVE, ANY CLAIM FILED TWO (2) YEARS OR MORE AFTER THE DECEDENT’S DATE OF DEATH IS BARRED. The date of first publication of this notice is September 7, 2023.

As Its

Clerk (Court Seal) Aug. 31, Sep. 7/14/21 38 (23-00463J)

THURSDAY, SEPTEMBER 14, 2023 23C JACKSONVILLE DAILY RECORD PUBLIC NOTICES ST. JOHNS COUNTY • SUBSEQUENT INSERTIONS
Personal Representative: MARGARET
487 Hefferon Drive St. Augustine, FL 32084 Attorney for Personal Representative: ROBIN H. CONNER, Esquire Florida Bar No. 353361 255 W. King Street, # 204 St. Augustine, FL 32084 Telephone: (904) 829-0511 FAX: (904) 907-1117 pa133@bellsouth.net Sep. 7/14 38 (23-00473J)
INSERTION IN THE SEVENTH JUDICIAL CIRCUIT COURT, IN
MARTENS
SECOND
WITHIN
SET FORTH
FLORIDA STATUTES SECTION
WILL BE FOREVER BARRED. NOTWITHSTANDING THE
THE TIME PERIODS
IN
733.702
SET FORTH ABOVE, ANY CLAIM FILED TWO (2) YEARS OR MORE AFTER THE DECEDENT’S DATE OF DEATH IS BARRED. The date of first publication of this notice is September 7, 2023. Personal Representative: SANDRA FRANZONE 574 SEVILLE PKWY ST. AUGUSTINE, Florida 32086 Attorney for Personal Representative: LARRY T. GRIGGS, ATTORNEY AT LAW, P.A. Larry T. Griggs, Attorney Florida Bar Number: 0454760 1301 Plantation Island Drive S., Suite 202B St. Augustine, FL 32080-3112 Telephone: (904) 471-5204 Fax: (904) 460-7248 E-Mail: larry@larrygriggs.com Secondary E-Mail: karen@larrygriggs.com Sep. 7/14 38 (23-00476J)
out our website! JaxDailyRecord.com
Check

Business Leads

BUSINESS LEADS

Since 1912, The Daily Record is the source for business and legal information that helps many of Jacksonville’s most successful businesses thrive and grow. Use the listings published on jaxdailyrecord.com under the Court Records tab and turn information into results.

BUILDING PERMITS

How to use this information:

Official permission from the city’s Planning & Development department to make alterations, build new or demolish buildings or parts of buildings which are regulated by the technical codes. For a current list of approved Building Permits visit JaxDailyRecord.com under the Court Records tab.

NEW BUSINESSES

Anyone who operates a business in Duval County must obtain an occupational license from the tax collector. Once a week, all new business licenses are published online at JaxDailyRecord.com under the Court Records tab. Useful to anyone providing goods or services to business customers.

From the courts

FAMILY LAW

New court cases filed involving marriage, adoption, paternity or divorce.

PROBATE

New court cases involving the instructions of a deceased person, deciding who will be the executor (personal representative) of an estate, or adjudicating the interests of heirs and other parties who may have claims against an estate.

CIVIL ACTIONS

New court cases involving suits filed by a plaintiff for damages alleged to have been caused by the actions or negligence of a defendant, which can be an individual or a business, corporation or government entity.

COUNTY CIVIL

New court cases not involving money such as eviction, transfer of rights, requiring cessation of an activity, etc.

CIVIL ORDERS

Judgments of court cases not involving money such as eviction, transfer of rights, requiring cessation of an activity, etc.

Reports of court finding and decisions such as granting of dissolution, final judgments, etc.

24C THURSDAY, SEPTEMBER 14, 2023 JACKSONVILLE DAILY RECORD
Target hundreds of new businesses. Manage the level of risk for your business. Generate more business through The Daily Record’s published wealth of data.
Duval County Tax Collector | 231 E. Forsyth St., Room 130 | Jacksonville, FL 32202 | 904-255-5700 opt. 3
DECREES
ORDERS &
Daily information on County and Circuit Court Actions, plus the listing of Documents Filed for Record with the Duval County Clerk of the Courts now available online.
legals_home.php
DUVAL COUNTY CLERK OF COURTS https://legals.jaxdailyrecord.com/

Turn static files into dynamic content formats.

Create a flipbook
Issuu converts static files into: digital portfolios, online yearbooks, online catalogs, digital photo albums and more. Sign up and create your flipbook.