
Hvmani Corporis Educacional
Geral


![]()










Conceitos fundamentais

Renovação:
Processo de reposição das perdas celulares decorrentes da ciclagem natural exibida por um tecido.
Reparo:
Processo de restauração total ou parcial da arquitetura (e função) de um tecido danificado por qualquer agente, que sucede uma resposta inflamatória e é por esta incitado.





Conceitos fundamentais

Regeneração:
Modalidade de reparo que consiste na plena reconstituição do tecido lesado, a partir da proliferação das células sobreviventes, restabelecendo-se por completo sua funcionalidade.
Cicatrização:
Modalidade de reparo que consiste na substituição do tecido lesado por um tecido genérico fibroso, que resulta numa arquitetura imperfeita e graus variáveis de reabilitação funcional.





Tecidos lábeis:
- exibem altas taxas de renovação (atividade mitótica constitutiva);
- representados pela maioria dos epitélios de revestimento e pelo tecido hematopoético;
- têm grande capacidade de reparo por meio de regeneração.









Os tecidos de revestimento e o sangue necessitam ser constantemente renovados.




Tecidos estáveis:
- exibem baixas taxas de renovação, porém são capazes de proliferação em resposta a danos teciduais (compostos por células quiescentes); - representados pelos tecidos conjuntivos elementares, ósseo e muscular liso, endotélio e parênquima da maioria das vísceras sólidas;
- têm capacidade limitada de reparo por meio de regeneração (à exceção do fígado), predominando a cicatrização.








A maioria das vísceras é composta por células estáveis, que exibem pequena capacidade de regeneração.




Tecidos permanentes:
- atividade de renovação praticamente nula;
- representados pelos tecidos nervoso, muscular estriado (cardíaco e esquelético) e cartilaginoso;
- considerados incapazes de regeneração, são reparados exclusivamente por cicatrização.





Alguns tecidos são incapazes de regeneração e seu reparo é essencialmente cicatricial.




Células "reparatórias":
- sintetizam componentes necessários ao reparo e/ou produzem fatores de crescimento, mediadores que orquestram o processo;
- fatores de crescimento atuam induzindo expressões gênicas que levam à síntese de componentes estruturais, divisão e diferenciação celulares, bem como inibindo a apoptose (isto é, favorecem a proliferação celular).



Macrofagócitos (histiócitos)





Principais células (fora de escala) a protagonizar o reparo tecidual.




Principais mediadores envolvidos: - fatores transformadores do crescimento (TGF-α, TGF-β), fatores de crescimento endotelial vascular (VEGFs), de fibroblastos (FGFs) e de hepatócitos (HGF) e as angiopoetinas (Ang 1, Ang 2) são importantes sinalizadores do reparo em múltiplos tecidos; - fatores estimuladores de colônias (CSFs) são particularmente relevantes à regeneração sanguínea.







Características gerais:
- típico em tecidos com altas taxas de renovação (células "hábeis" em replicar-se);
- o tecido reparado é idêntico ao original e sua funcionalidade é inteiramente restaurada;
- danos teciduais severos podem comprometer a regeneração mesmo em tecidos lábeis.

Tecido íntegro

Agressão Regeneração


Tecido reparado Inflamação
O reparo regenerativo resulta num tecido reparado indistinguível do original.





Principais mecanismos:
- macrofagócitos locais, dentre outros, sintetizam fatores de crescimento (ainda pouco conhecidos) em resposta à inflamação;
- expressões gênicas que favorecem a proliferação celular (aumento da síntese de componentes, ativação da ciclagem celular, inibição da apoptose) são induzidas nas células sobreviventes;
- a atividade mitótica das células remanescentes (maduras) pode ser suplementada pela atuação de células tronco locais.





Características gerais:
- típico em tecidos com baixa taxa de renovação (pouca regeneração, quando alguma);
- o tecido reparado é diferente do original, podendo haver graus variados de prejuízo funcional;
- pode-se observar regeneração concomitante em tecidos adjacentes propensos, que tenham sofrido menor dano.



O reparo cicatricial resulta num tecido reparado diferente do original.






Principais eventos e mecanismos: - angiogênese: -- formação de neovasos que visa reconstituir a malha vascular destruída (a partir da remanescente) e restabelecer o suprimento sanguíneo local; -- fatores de crescimento angiogênicos são produzidos por tipos celulares diversos (macrofagócitos, mastócitos, endoteliócitos, fibroblastos), estimulados pela hipóxia e por mediadores inflamatórios (IL-1, TNF-α, TGF-β).






Principais eventos e mecanismos:
- angiogênese:
-- o VEGF-A estimula a produção de NO (vasodilatador) nos endoteliócitos, aumentando o fluxo sanguíneo local;
-- angiopoetinas (Ang 1 e Ang 2) promovem o destacamento das células periendoteliais (pericitos), enquanto proteinases da matriz extracelular asseguram a degradação local da membrana basal;
-- proliferações de endoteliócitos, promovidas principalmente pelo VEGF-A e FGF-2, resultam em "brotos" vasculares.


Pericito
Membrana basal
Endotélio

Vaso normal
Hipóxia, citocinas

Vaso estimulado
Broto vascular incipiente
Destacamento dos pericitos
Degradação da membrana basal
Eventos iniciais da angiogênese (em torno de 24h após a injúria tecidual).




Principais eventos e mecanismos:
- angiogênese:
-- os brotamentos se alongam e eventualmente se interconectam, canalizando-se e estabelecendo novas vias para o fluxo sanguíneo; -- os neovasos são altamente permeáveis, justificando a presença de algum edema mesmo após a resolução da resposta inflamatória.

Reorganização dos pericitos e membrana basal

Broto vascular alongado e canalizado
neoformado

Vasos neoformados restabelecem o fluxo sanguíneo no tecido em cicatrização.





Principais eventos e mecanismos:
- fibroplasia: -- colonização gradual do sítio da lesão por fibroblastos (iniciada em torno de 24h após a injúria), com a subsequente produção de fibras colágenas que irão compor uma matriz extracelular inicialmente frouxa; -- a imigração e proliferação de fibroblastos é regulada por fatores de crescimento (TGF-β, FGF-2) produzidos por macrofagócitos, mastócitos, linfócitos T e endoteliócitos, dentre outros.






Reparo cicatricial
Principais eventos e mecanismos:
- formação do "tecido de granulação":
-- resulta da combinação dos processos de angiogênese e fibroplasia em evolução;
-- microscopicamente, fibroblastos, macrofagócitos e vasos neoformados sustentam-se por uma matriz hidratada de fibras colágenas delicadas;
-- macroscopicamente, observa-se um tecido róseo e macio, com aspecto granular, em torno de 5 dias após a injúria tecidual.




Aspecto micro e macroscópico do tecido de granulação.





Principais eventos e mecanismos:
- deposição fibrosa:
-- a síntese continuada de fibras colágenas (fibroblastos estimulados pelo TGF-β) confere resistência crescente ao tecido em reparação;
-- na medida em que se formam feixes espessos e tramas densas de colágeno, regridem (por apoptose) os neovasos.





Principais eventos e mecanismos:
- deposição fibrosa:
-- gradualmente (no curso de semanas) define-se um tecido altamente fibroso e paucivascular, empalidecido à macroscopia (cicatriz); -- parte dos fibroblastos por fim diferencia-se em miofibroblastos, cuja habilidade contrátil impõe retrações ao tecido cicatricial (maior resistência).



Aspecto micro e macroscópico de uma cicatriz cutânea.





Principais eventos e mecanismos:
- deposição fibrosa:



Aspecto micro e macroscópico de uma cicatriz miocárdica.





Principais eventos e mecanismos:
- remodelamento: -- cronicamente (meses a anos), a cicatriz sofre ação de enzimas que degradam o colágeno (metaloproteinases) e aos poucos a remodelam; -- um equilíbrio entre a síntese e a degradação de fibras colágenas assegura a estabilidade da cicatriz em longo prazo.









A extraordinária capacidade de reparo regenerativo do fígado talvez já fosse conhecida pelos antigos gregos, como sugere o mito de Prometeu.




O reparo hepático
Características gerais:
- o fígado é capaz de regenerar-se completamente de perdas de até 90% do seu volume, no curso de poucas semanas;
- além de fatores de crescimento, citocinas e hormônios participam da complexa regulação do fenômeno;
- o volume de um fígado transplantado tende a se adequar ao volume corporal do seu receptor (mecanismos não esclarecidos).



O fígado já exibe notável recomposição do seu volume poucos dias após sofrer perdas teciduais.





O reparo hepático
Principais eventos e mecanismos:
- macrofagócitos hepáticos (Kupffer) produzem citocinas (TNF-α, IL-6) que "sensibilizam" os hepatócitos remanescentes à atuação de fatores de crescimento; - endoteliócitos e fibroblastos, dentre outros, sintetizam TGF-α e HGF, que estimulam a replicação de hepatócitos e células estromais; - alguns hormônios, como a insulina, parecem corroborar com o processo regenerativo.






Principais eventos e mecanismos: - reconstituído o volume, entra em curso o remodelamento apoptótico dos tecidos neoformados; - os mecanismos de resolução do processo regenerativo hepático permanecem pouco esclarecidos (diversos fatores “hepatostáticos” já foram propostos, a incluir a IL-10 e o TGF-β).






Características gerais:
- envolve processos de regeneração (epiderme) e cicatrização (derme);
- a coaptação primária das margens lesionais (quando possível) otimiza o tempo de reparo e resulta em menor área cicatricial;
- a resistência original da pele é apenas parcialmente restabelecida (10% em 1 semana, culminando em 80% em 3 meses);
- anexos epidérmicos destruídos não são regenerados.






Principais eventos e mecanismos:
- queratinócitos marginais migram e replicam-se na derme convalescente (24-48h), pavimentando seu trajeto com uma nova membrana basal;
- um tecido de granulação (angiogênese + fibroplasia) progressivamente
ocupa a área traumatizada (3-5 dias), substituindo em parte o coágulo (permanecendo a crosta).



Neutrófilos
Coágulo

Etapas iniciais do processo de reparo cutâneo.
Replicação
Macrofagócito
Fibroblasto
Neovaso Granulação




Principais eventos e mecanismos:
- a epiderme queratiniza-se e recupera parte de sua espessura (a partir da periferia), enquanto feixes delgados de fibras colágenas interconectam as margens lesionais dérmicas (~7 dias);
- uma cicatriz dérmica rica em fibroblastos, recoberta por uma epiderme regenerada, pode ser observada em aprox. 30 dias (na coaptação primária).



Epiderme regenerada
Cicatriz recente

Cicatriz cutânea recente (poucas semanas).




Principais eventos e mecanismos:
- a reepitelização é corroborada pela replicação de células-tronco localizadas nos bulbos pilosos, especialmente nas lesões extensas; - cicatrizes amplas exibem contração (miofibroblastos) observável no curso de meses.










sem.

















Características gerais:
- processo regenerativo complexo, apenas parcialmente elucidado;
- fatores como idade, localização e estabilidade da fratura influenciam o tempo e a qualidade do reparo;
- a presença de desvios (angulação, rotação e/ou sobreposição) pode resultar em deformidades com prejuízos funcionais importantes.




O sucesso do reparo ósseo depende primariamente da apropriada redução e imobilização da fratura.




Principais eventos e mecanismos:
- o hematoma fraturário (inflamação aguda) é gradualmente substituído (5-7 dias) por tecido de granulação (angiogênese + fibroplasia);
- condroblastos (diferenciados a partir do periósteo) aliam-se aos fibroblastos para transformar o tecido de granulação em um colar fibrocartilaginoso que estabiliza a fratura (calo mole; 1-3 semanas).


Periósteo
Hematoma fraturário

Necrose/inflamação
Formação do hematoma e tecido de granulação
Tecido de granulação

Formação do calo fibrocartilaginoso
Etapas iniciais do processo de reparo ósseo.
Fibrocartilagem
Calo mole




Principais eventos e mecanismos:
- osteoblastos (periósteo e endósteo) produzem matriz calcificada, transformando a fibrocartilagem em tecido ósseo imaturo, esponjoso (calo duro; até 3-4 meses); - o remodelamento do osso neoformado (meses a anos), por atividade osteoblástica e osteoclástica, culmina com a reconstituição da arquitetura lamelar original.


Fibrocartilagem


Remodelamento
Etapas tardias do processo de reparo ósseo.




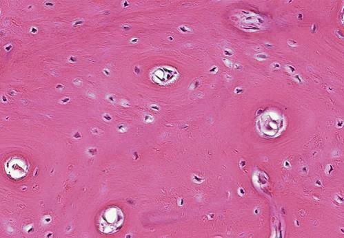
O reparo ósseo

Fibrocartilagem

Osso imaturo

Processo de ossificação do calo fibrocartilaginoso observado à microscopia.








Progressão do reparo ósseo à radiografia.




Principais fatores intrínsecos:
- má irrigação (anatomia, aterosclerose, diabetes, insuficiência venosa);
- instabilidade mecânica (movimento articular, variações da pressão intraluminal nas vísceras ocas);
- desnutrição (↓ síntese colágeno).




Diversos fatores podem retardar o processo de reparo e eventualmente favorecer um reparo anormal.





Principais fatores extrínsecos: - infecções; - corpos estranhos (sujidades, estilhaços, fragmentos ósseos, material cirúrgico); - anti-inflamatórios e outras drogas (nicotina: ↓ angiogênese, ↓ fibroplasia).




Infecções, corpos estranhos e o tabagismo prejudicam o reparo tecidual.





Fibrose:
- deposição excessiva e persistente de fibras colágenas, em geral associada à inflamação crônica (tipicamente em vísceras);
- tende a substituir o tecido normal, adulterando irreversivelmente a arquitetura do órgão;
- acentua os prejuízos funcionais já impostos ao órgão pela doença e inflamação crônica (podendo tornar-se sua principal causa).



A fibrose pode resultar em deformidades grosseiras.




Fibrose: - macrofagócitos ativados produzem TGF-β (principal mediador) e linfócitos (T) produzem interleucinas (como a IL-4 e a IL-13), os quais promovem o recrutamento de fibroblastos; - fibroblastos diferenciam-se em miofibroblastos, cuja estimulação sustentada (inflamação crônica) resulta na deposição progressiva de fibras colágenas.




Arquiteturas de um fígado normal (à esquerda) e fibrótico.





Injúria tecidual persistente

Inflamação crônica
Linfócitos T
Recrutamento e diferenciação de fibroblastos
IL-4, IL-13
TGF-β
Macrofagócitos
Miofibroblastos ativados
Resumo esquemático do processo de fibrose.





"Pseudoartrose":
- ausência de consolidação de uma fratura óssea no intervalo de tempo convencional (em geral até 6 meses);
- observada em 5% das fraturas de ossos longos;
- instabilidade (fixação imprópria) e má irrigação (lesão vascular/periosteal) são os principais fatores predisponentes;
- um calo fibrocartilaginoso persistente, hipo ou hipertrófico, com focos necrose e espaços preenchidos por sinóvia podem ser observados.









Hipergranulação:
- formação excessiva do tecido de granulação, que extrapola os limites do leito lesional;
- favorecida na presença de instabilidade mecânica, atrito, infecção, corpos estranhos (p. ex., tubo traqueal);
- dificulta a reepitelização da superfície e a devida conclusão do processo de reparo (requer excisão/cauterização, podendo recorrer).








Queloide:
- deposição excessiva de fibras colágenas anormalmente espessas, que extrapola os limites do leito lesional;
- a princípio, um fenômeno restrito à pele, sendo mais comum na cabeça/pescoço, tórax e membros superiores;
- observa-se predisposição individual (pode haver recorrência);
- mais comum em afrodescendentes;
- há tendência à progressão em longo prazo.





Aspecto clínico e microscópico de um queloide (em maior aumento, no detalhe).




Queloide: - etiopatogênese pouco compreendida, envolvendo falhas na regulação do processo de reparo (hiperestimulação [↑ TGF-β] e inibição da apoptose de fibroblastos).




Queloides podem acarretar prejuízos funcionais, além de estéticos.




Cicatriz hipertrófica:
- resulta de uma deposição excessiva de fibras colágenas, porém, respeitando-se os limites do leito lesional;
- mais comum na cabeça/pescoço, tórax, ombros e joelhos;
- não há predominância étnica ou predisposição individual;
- há tendência à suavização em longo prazo.




Aspecto clínico e microscópico de uma cicatriz hipertrófica.




Contratura excessiva:
- tipicamente associada ao reparo de queimaduras graves;
- mais comum na superfície anterior do tórax, palmas e plantas;
- pode acarretar importantes restrições motoras e prejuízos posturais, dentre outros, conforme a topografia.




Excesso de retração cicatricial em vítimas de queimadura grave.




Referências bibliográficas
Gerais:
1. Kumar V, Abbas A, Aster J. Robbins & Cotran: Pathologic basis of disease. 9th ed. Elsevier; 2016.
2. O'Dowd G, Bell S, Wright S. Wheather's Pathology: A text, atlas and review of histopathology. 9th ed. Elsevier; 2020.
3. Klatt E. Robbins & Cotran: Atlas of pathology. 3rd ed. Elsevier; 2015.
4. Buja L, Krueger G. Netter's Illustrated human pathology. 2nd ed. Elsevier; 2011.
5. Goldblum J, et al. Rosai & Ackerman's Surgical pathology. 11th ed. Elsevier; 2017.






Referências bibliográficas
Complementares:
1. Sociedade Brasileira de Anatomia. Terminologia Anatômica. Manole; 2001.
2. Federative International Committee on Anatomical Terminology. Terminologia Histologica. LWW; 2008.
3. Ovalle WK, Nahirney PC. Netter: Bases da histologia. Elsevier; 2008.
4. Ross MH, Pawlina W. Histologia texto e atlas. 6ª ed. Guanabara Koogan; 2012.
5. Mills S. Histology for pathologists. 4th ed. LWW; 2012.
6. Alberts B, et al. Biologia molecular da célula. 6ª ed. Artmed; 2017.
7. Standring S. Gray's Anatomia: a base anatômica da prática clínica. 40ª ed. Elsevier; 2011.
8. Schunke M, Schulte E, Schumacher U. Prometheus: Atlas de anatomia. Guanabara Koogan; 2007.
9. Netter FH. Atlas de anatomia humana. 7ª ed. Elsevier; 2018.
10.Jansen JT, Netter FH. Netter's Clinical anatomy. 4nd ed. Elsevier; 2019.
11.Moore KL, Persaud PVN. Embriologia clínica. 10ª ed. Elsevier; 2016.
12.Boron W, Boulpaep E. Medical Physiology. 3rd ed. Elsevier; 2017.
13.Coico R, Sunshine G. Immunology. 7th ed. Wiley Blackwell; 2015.
14.Porto C, Porto A. Semiologia médica. 8ª ed. Guanabara Koogan; 2019.
15.Longo DL, Fauci AS, Kasper DL, et al. Medicina interna de Harrison. 18ª ed. Artmed; 2013.



















"Se realmente existir uma teoria unificada da física, ela presumivelmente também determinará o comportamento humano".