
Hvmani Corporis Educacional Patologia Geral


![]()












Conceitos fundamentais

Imunidade:
Conjunto de fatores inatos ou adquiridos implicados na defesa do organismo contra elementos nocivos, biológicos ou não, oriundos do ambiente externo ou interno.
Hipersensibilidade:
Resposta imune orientada contra elementos que a rigor não deveriam motivá-la (sejam próprios ou estranhos) e cujos efeitos são nocivos ao organismo.

A imunidade é essencial à sobrevivência e seu mau funcionamento favorece estados patológicos diversos.






Características gerais:
- a imunidade inata (barreiras físicas [epitélios, muco] e químicas [acidez, lisozimas], inflamação) representa a primeira linha de defesa do organismo, prontamente disponível, porém, algo rudimentar e inespecífica;
- a resposta imune adquirida é tardia (requer sensibilização prévia, levando dias/semanas para se tornar disponível), porém, altamente específica e eficiente, dotada de memória (anos) e polivalente, capaz de reconhecer milhões de antígenos diferentes.


Denomina-se antígeno qualquer padrão molecular capaz de ser identificado pelas células que protagonizam a imunidade, induzindo uma resposta defensiva do organismo.






Características gerais:
- a imunidade adquirida organiza-se em celular, mediada principalmente por linfócitos T, e humoral, mediada principalmente por anticorpos, sintetizados por linfócitos B; - a resposta adquirida origina-se nos órgãos linfáticos secundários (linfonodos, baço, tonsilas, nódulos linfoides), a partir da ativação de linfócitos por meio da apresentação de antígenos.



Linfócitos T

Linfócitos B
A resposta imune adquirida tem nos linfócitos T e B seus principais atores celulares.






Características gerais


Apresentadora de antígeno

Folículo linfático
Vaso linfático aferente
Linfócito T virgem
Linfócito B virgem
Linfócitos (dos órgãos primários)
Os órgãos linfoides secundários, como os linfonodos, concentram linfócitos T e B e células apresentadoras de antígenos, atuando como postos de iniciação da resposta imune adquirida.







Principais mecanismos:
- a resposta celular pode ser orientada tanto contra antígenos gerados dentro da célula (vírus, neoplasias) quanto contra antígenos extracelulares endocitados e apresentados por dendrócitos (principais) ou macrofagócitos;
- os linfócitos T somente reconhecem antígenos que lhes são "formalmente" apresentados pelo MHC (Main Histocompatibility Complex), por meio de receptores e co-receptores específicos;
- dentre os co-receptores conhecidos, destacam-se o CD8 e o CD4 (mutuamente exclusivos).








Principais mecanismos


Linfócito T CD8+
Linfócito T CD4+

Co-receptor Receptor
Antígeno


MHC I (todas as células) Região transmembranar
Porção extracelular


Antígeno
Porção intracelular

MHC II (apresentadoras de antígeno) Região transmembranar
O MHC exibe, na superfície das células, antígenos processados no seu interior, possibilitando seu reconhecimento pelo sistema imunológico (linfócitos T), constituindo uma espécie "documento" de identidade celular no organismo.






Principais mecanismos:
- os linfócitos T CD8+ ativados desempenham função citotóxica (destroem células que exibem antígenos estranhos por meio do MHC I); - a interação com linfócitos citotóxicos leva a célula-alvo à apoptose, mediante a liberação de granzimas (dentre outras), que ativam direta ou indiretamente caspases (danos ao DNA).


Linfócito T CD8+
Célula exibindo antígeno endógeno
Acionamento da atividade citotóxica
Morte celular (apoptose)

A atuação dos linfócitos T CD8+ é citotóxica.






Principais mecanismos:
- os linfócitos T CD4+ atuam como auxiliares (por meio de citocinas, estimulam macrofagócitos, linfócitos B e T e outros leucócitos);
- uma vez ativados, os linfócitos T CD4+ diferenciam-se em subclasses especializadas na síntese de citocinas específicas, a depender do antígeno deflagrador da resposta (TH1: agentes microbianos intracelulares; TH2: helmintos; TH17: agentes microbianos extracelulares).



TH1
Apresentadora de antígeno
Linfócito T CD4+
Citocinas
IFN-γ, IL-2: estimulam macrofagócitos, linfócitos T citotóxicos e células NK.
Linfócito TH2
IL-4, IL-5, IL-13: estimulam linfócitos B (IgE), eosinófilos e mastócitos.
IL-17, IL-22: recrutam neutrófilos e monócitos.
Linfócito TH17
Subclasses de linfócitos T auxiliares e seus principais indutores, produtos e ações.






Principais mecanismos:
- a resposta humoral é orientada contra antígenos encontrados fora das células (incluindo circulação e superfícies mucosas);
- linfócitos B são capazes de reconhecer diretamente antígenos diversos por meio de imunoglobulinas de membrana (que atuam como receptores), porém, sua ativação em geral requer a apresentação do antígeno a um linfócito T auxiliar cognato (que responde ativando-o);
- linfócitos B são ativados independentemente de linfócitos T quando se trata de antígenos lipídicos ou polissacarídicos (não reconhecíveis pelos T).








Principais mecanismos:
- linfócitos B ativados (ou plasmócitos) secretam imunoglobulinas (anticorpos) que desempenham funções diversas, como opsonização (fagócitos), quimiotaxia, ativação de células NK e do complemento, neutralização de toxinas, dentre outras (conforme a classe considerada); - apesar de sua versatilidade, os anticorpos não atuam contra antígenos localizados no interior das células.

Sítio de ligação com o antígeno
Sítio de ligação com o antígeno



Representação esquemática de um anticorpo e suas principais classes.






Principais mecanismos






Ativação Anticorpos
Plasmócitos são linfócitos B ativados, que produzem e liberam anticorpos.






Principais mecanismos:
- a resposta adquirida, além de ativar macrofagócitos e/ou a citotoxicidade de linfócitos T CD8+, é capaz de acionar recursos "complementares", como o recrutamento de células inflamatórias, ativação de células NK e do sistema complemento (característicos da imunidade inata); - as células NK (5-10% dos linfócitos circulantes) exercem efeito citotóxico similar ao dos linfócitos T CD8+ (apoptose via granzimas), além de produzir IFN-γ (dentre outras citocinas), que ativa macrofagócitos.








Principais mecanismos:
- as proteínas do complemento desempenham ações diversas, como indução de exsudação (C3a, C5a), quimiotaxia de fagócitos (C3b), opsonização (C3b, C4b) e lise de células-alvo (C5b-C9);
- linfócitos T e B de memória permanecem circulantes após a ativação original, favorecendo uma resposta secundária mais rápida e vigorosa (linfócitos T de memória também permanecerão residentes nos tecidos).


Canal transmembranar (complemento)

Bactéria
H2O

Dentre outras ações, o complemento é capaz de compor canais transmembranares que impõem desequilíbrio osmótico à célula, favorecendo sua tumefação e subsequente ruptura.







Características gerais:
- uma resposta imune indevida tende a surtir efeitos nocivos sobre o organismo;
- a hipersensibilidade é classificada conforme o mecanismo
imunopatológico de base, definindo-se quatro principais tipos (que podem coexistir):
-- imediata (tipo I);
-- mediada por anticorpos (tipo II);
-- mediada por imunocomplexos (tipo III);
-- mediada por células (tipo IV).


As reações de hipersensibilidade tipo I alicerçam os processos patológicos ditos alérgicos, enquanto as do tipo II, III e IV caracterizam aqueles denominados autoimunes.






Características gerais:
- induzida por antígenos ambientais, a rigor, inocivos;
- protagonizada principalmente por mastócitos, eosinófilos
e linfócitos T CD4+ (TH2) e B;
- destaca-se a mediação por anticorpos IgE;
- resposta caracteristicamente muito rápida.








Principais mecanismos:
- organizada em três etapas: sensibilização, ativação e efetivação; - a exposição inaugural ao antígeno (mais especificamente, ao seu epítopo) leva à ativação de linfócitos T auxiliares (mediante apresentação do antígeno) e de linfócitos B; - os linfócitos T ativados (TH2) produzem citocinas (IL-4, IL-13) que induzem linfócitos B ativados a sintetizar IgE, cuja região Fc exibe afinidade para receptores expressos por mastócitos (e basófilos).



Mastócitos (repletos de grânulos citoplasmáticos), células essenciais na hipersensibilidade tipo I.






Principais mecanismos:
- na reexposição ao antígeno, a interação deste com mastócitos (e basófilos) já sensibilizados (IgE) culmina na liberação (que pode ser massiva) de mediadores específicos;
- dentre os mediadores figuram, em especial, a histamina, prostaglandinas (PGD2), leucotrienos (LTB4, LTC4, LTD4) e citocinas (IL-1, TNF-α, CXCL8, IL-4, IL-5);
- os eventos que se sucedem traduzem os efeitos dos mediadores liberados, na proporção da sua concentração.








Principais mecanismos

Epitélio
Antígeno

Exposição inaugural
Dendrócito
Linfócito B
Plasmócito
Mastócito sensibilizado
Mastócito ativado (reexposição)
Linfócito T
Linfócito T ativado
Receptor (Fc de IgE)
Ilustração esquemática das etapas de sensibilização e ativação de mastócitos.

Liberação de mediadores






Principais mecanismos:
- quase imediatamente, há dilatação e aumento da permeabilidade vasculares (edema) e, conforme o tecido envolvido, intensificação das secreções glandulares (p. ex., hipersecreção de muco nasal/brônquico);
- espasmos da musculatura lisa podem ser observados nas vias brônquicas/bronquiolares (↓ calibre) e digestórias (↑ peristalse).


Mastócito ativado
Reexposição ao antígeno

Histamina, prostaglandinas, leucotrienos
- edema;
- hipersecreção glandular;
- broncoconstrição;
- hiperperistaltismo.
Efeitos precoces (minutos) da ativação de mastócitos (na reexposição).






Principais mecanismos:
- tardiamente (~2-24h), há progressiva infiltração de leucócitos recrutados (citocinas), cuja atuação (fagocitose, liberação de enzimas digestivas e outras substâncias degradantes) favorece danos teciduais; - eosinófilos se fazem especialmente presentes (fatores quimiotáticos específicos) e atuantes (têm na IL-5 um poderoso ativador), produzindo fatores degradantes exclusivos que intensificam os danos.



Efeitos e manifestações
Reexposição ao antígeno
Efeitos imediatos
Efeitos tardios
Tempo após a exposição (horas)
Cronologia dos efeitos imediatos e tardios na reação de hipersensibilidade tipo I.






Principais mecanismos




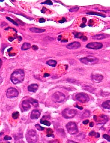
Mucosa esofágica densamente infiltrada por eosinófilos no contexto de resposta de hipersensibilidade tipo I. Eosinófilos






Características gerais:
- orientada contra antígenos próprios localizados na superfície celular ou na matriz extracelular; - mediada por (auto)anticorpos IgM e IgG (em alguns casos, IgA).








Principais mecanismos:
- a ligação de autoanticorpos a antígenos da superfície celular pode acarretar, por si, disfunções diversas conforme o antígeno (p. ex., bloqueio de receptores sinápticos, sinalizações indevidas a receptores hormonais);
- células revestidas por autoanticorpos podem ser alvo de fagocitose (opsonização) ou ações citotóxicas (NK).


Antígeno de superfície
Autoanticorpo

Receptor de Fc

Célula NK

Efeito citotóxico
Autoanticorpos junto à superfície celular podem acionar a atuação citotóxica de linfócitos NK sobre a célula-alvo.






Principais mecanismos:
- autoanticorpos ligados à superfície celular ou à matriz extracelular (inclui-se a membrana basal) induzem ativação do complemento;
- o complemento promove a ação de macrofagócitos (C3b, C4b) e a lise osmótica das células (C5b-C9), além de favorecer a imigração e ativação (C3a, C5a, C3b) de leucócitos (em especial neutrófilos e monócitos), cuja atividade degradante (enzimas, espécies reativas) intensifica os danos.


Célula opsonizada
C3b
Autoanticorpo
Célula fagocitada

Receptor de Fc
Receptor de C3b
Ativação do complemento
Fagócito

Opsonização por autoanticorpos ou complemento (ativado por autoanticorpos) levando à fagocitose de uma célula-alvo.






Características gerais:
- orientada contra complexos antígeno-anticorpo (imunocomplexos, em geral formados na circulação) que se depositam nos tecidos (tipicamente, junto à parede de microvasos);
- os antígenos que compõem os imunocomplexos podem ser próprios ou estranhos (p. ex., partículas microbianas);
- em geral mediada por anticorpos IgG (em alguns casos, IgM);
- o comprometimento tende a ser sistêmico, porém, alguns sítios são mais propensos ao depósito (glomérulos, sinóvia, corpo ciliar).








Características gerais

Espaço urinário (de Bowman)


Rins e articulações sinoviais são sítios propensos à deposição de imunocomplexos, então favorecida pela ultrafiltração do plasma para formação da urina e do fluido sinovial, respectivamente.







Características gerais

Capilares ciliares Processos ciliares

Câmara anterior

posterior
Plexo vascular dos processos ciliares

O corpo ciliar é propenso ao depósito de imunocomplexos, favorecido pela ultrafiltração do plasma para formação do humor aquoso.







Principais mecanismos:
- o reconhecimento do antígeno circulante leva à ativação de linfócitos B e subsequente produção de anticorpos que, lançados na circulação, acoplam-se ao antígeno;
- a formação abundante de imunocomplexos pode suplantar a capacidade de sua remoção pelo sistema imune (fagocitose), favorecendo seu depósito;
- alguns imunocomplexos são mais propensos à deposição, por razões ainda pouco conhecidas (seu tamanho parece um fator relevante).








Principais mecanismos:
- os efeitos nocivos dos depósitos são mediados em especial pelo sistema complemento; - imunocomplexos fixam e ativam o complemento, favorecendo o recrutamento (C3a, C5a, C3b) e ativação (C3b) de leucócitos, cuja atividade inflamatória impõe danos colaterais aos tecidos locais;
- a lesão da microvasculatura sujeita os tecidos adjacentes à hipóxia, que acaba por agravar o cenário inflamatório.

Antígeno circulante
Imunocomplexo
Linfócito
B ativado

Plasmócito
Endotélio
Imunocomplexo depositado na parede vascular

Leucócito recrutado
Parede vascular inflamada
Lesão endotelial
Complemento

Agregação plaquetária
O depósito de imunocomplexos na parede de microvasos culmina com lesão pela reação inflamatória deflagrada.







Características gerais:
- orientada contra antígenos próprios ou exógenos (enxertos, transplantes);
- protagonizada principalmente por linfócitos T CD4+ (TH1 e TH17) e CD8+ (citotóxicos);
- não há participação de anticorpos;
- resposta relativamente tardia (24-48h).








Principais mecanismos:
- a apresentação do antígeno (dendrócitos, macrofagócitos) induz a ativação de linfócitos T auxiliares (TH1, TH17);
- linfócitos TH1 estimulam fortemente (IFN-γ) a atividade de macrofagócitos (apresentação antigênica, síntese de mediadores [como IL-1 e TNF-α], fagocitose);
- linfócitos TH17 recrutam (IL-17, IL-22) neutrófilos e monócitos, promovendo atividade inflamatória;
- a ativação de linfócitos T CD8+ deflagra sua atuação citotóxica típica, orientada contra as células que exibem o antígeno.








Considerações gerais:
- condição caracterizada pela presença de linfócitos capazes de reconhecer antígenos próprios;
- a autorreatividade de linfócitos T ou B pode resultar (mas não necessariamente resulta) em danos ao organismo (doença);
- mesmo havendo contexto de doença, a eventual presença de linfócitos autorreativos/autoanticorpos não necessariamente implica sua participação na patogênese.








Considerações gerais:
- a autoimunidade, para ser considerada patológica, deve constituir a causa de um processo mórbido de outro modo não explicado; - indivíduos com uma doença autoimune têm maior propensão ao desenvolvimento de outras doenças autoimunes (predisposição genética).








Autotolerância imunológica:
- antígenos próprios não devem desencadear uma resposta imune (efeitos autodestrutivos);
- os receptores antigênicos dos linfócitos são gerados aleatoriamente, assegurando-lhes uma grande diversidade (à altura da diversidade de antígenos na natureza);
- receptores capazes de reconhecer antígenos próprios são constantemente gerados e devem, rapidamente, ser corrigidos, ou os linfócitos que os expressam, eliminados (apoptose) ou "desabilitados".


A imunidade deve atacar o que é estranho (e nocivo) e tolerar o que é próprio; falhas na autotolerância favorecem a autoimunidade.






Mecanismos gerais:
- a não retificação, eliminação ou inibição de linfócitos capazes de reagir contra antígenos próprios abre espaço para a autoimunidade;
- as causas das falhas na manutenção da autotolerância (e por quais mecanismos exatamente operam) permanecem ainda amplamente desconhecidas;
- a herança de genes de susceptibilidade, em especial relacionados ao MHC, está fortemente associada à ocorrência de autoimunidade (seus efeitos, contudo, permanecem incertos).


O potencial para a autoimunidade existe em todos os indivíduos, porém, é maior naqueles geneticamente mais susceptíveis a falhas na autotolerância.






Mecanismos gerais:
- linfócitos autorreativos que escaparam à regulação estão sujeitos à ativação por meio da apresentação de antígenos próprios (que pode nunca acontecer);
- sítios de lesão/morte tecidual (inflamação, infecções, traumas, intoxicações, isquemia) são fontes de antígenos próprios para células apresentadoras (e estímulos à sua atividade).








Mecanismos gerais:
- a resposta imune elaborada contra algumas infecções pode exibir efeito "cruzado" contra antígenos próprios (epítopos miméticos);
- alguns vírus (EBV, HIV) são capazes de ativar diretamente linfócitos B, que, se autorreativos, produzirão autoanticorpos;
- "superantígenos" bacterianos são capazes de ativar linfócitos T, inclusive os autorreativos (se presentes), inespecificamente.








Mecanismos gerais:
- linfócitos autorreativos, uma vez ativados, acionarão recursos da resposta imune (citotoxicidade, anticorpos, inflamação) contra os antígenos próprios correspondentes;
- autoagressão resulta em danos teciduais (doença) e pode ser mediada (ou predominantemente mediada) por anticorpos/linfócitos B (hipersensibilidades tipo II e III) ou por linfócitos T (hipersensibilidade tipo IV).








Mecanismos gerais


Genes de susceptibilidade
Falhas na tolerância a antígenos próprios

Infecção, inflamação (possíveis gatilhos)
Tecido hígido
Apresentação de antígenos próprios ou miméticos
Linfócitos autorreativos
Linfócitos autorreativos ativados Agressão autoimune
Fatores genéticos e adquiridos atuam em conjunto favorecendo a hipersensibilidade a antígenos próprios.






Doenças autoimunes:
- as repercussões da agressão autoimune dependem da sua localização, intensidade e extensão no organismo (que são muito variáveis);
- algumas doenças são limitadas a órgãos/tecidos específicos (Hashimoto, pênfigo), enquanto outras são multissistêmicas (lúpus, artrite reumatoide);
- tendem a ser crônicas (persistência do estímulo antigênico, inflamação viciosa), intercalando fases de redução e exacerbação da atividade imunoinflamatória (e sua expressão clínica).








Doenças autoimunes:
- algumas baseiam-se na atuação de autoanticorpos (Graves, miastenia gravis, pênfigo), enquanto outras envolvem autoanticorpos e imunocomplexos (lúpus) ou mediação por linfócitos T, com a participação de autoanticorpos (diabetes tipo 1, artrite reumatoide) ou não (psoríase).
- comprometendo 5-7% da população (em especial do sexo feminino, por razões pouco esclarecidas), mais de 80 diferentes doenças atribuíveis à autoimunidade já foram identificadas.




Tireoidopatia de Graves, artrite reumatoide e psoríase são exemplos de doenças autoimunes.







Alergia (gr. allos, estranho; ergos, atividade)
Considerações gerais:
- fenômeno patológico causado pela exposição a antígenos ambientais, a rigor, inocivos (alergênios), que desencadeiam, em indivíduos geneticamente susceptíveis, reações de hipersensibilidade tipo I;
- observada em 10-20% da população, comumente havendo contexto familiar;
- tipicamente se manifesta ainda na infância/adolescência.








Fatores desencadeantes:
- alergênios são antígenos de natureza proteica que podem se fazer presentes nas mais diversas substâncias ou ambientes, podendo ser tocados, inalados, ingeridos ou injetados;
- dentre os alergênios mais comuns encontram-se o amendoim, nozes, castanhas e afins, peixes, crustáceos, ovos, leite, soja, pelos de animais, veneno de himenópteros (abelha, vespa), dejetos de ácaros, esporos fúngicos e pólens;
- o que determina o potencial alergênico de uma substância permanece pouco compreendido.














Alergênios estão amplamente distribuídos no ambiente.









A alergia a medicamentos, embora pouco comum, constitui uma preocupação constante na medicina.







Fatores desencadeantes:
- alguns estímulos não antigênicos (p. ex., térmicos, mecânicos) são capazes de ativar mastócitos sem sua sensibilização prévia (sem mediação por IgE), desencadeando reações mais propriamente descritas como pseudo-alérgicas (mecanismos pouco esclarecidos).



20-30% das reações "alérgicas" são provocadas por estímulos não antigênicos (p. ex., frio, exercício físico), capazes de acionar a atividade de mastócitos sem a participação de IgE.







Principais repercussões:
- as reações alérgicas são mais exuberantes nas topografias com maior concentração de mastócitos (pele e mucosas);
- em geral proporcionais à exposição, porém, respostas severas podem ser desencadeadas mesmo após exposições discretas.








Principais repercussões:
- a doença alérgica pode ser localizada (dermatite, conjuntivite, rinossinusite, asma, esofagite, enterite) ou generalizada (anafilaxia, que pode complicar com choque); - respostas alérgicas cronicamente recorrentes favorecem danos teciduais cumulativos causados pela atividade inflamatória a estas atrelada.




O espectro clínico das reações alérgicas abrange desde manifestações cutâneas brandas até o choque.






Principais repercussões:
- na anafilaxia, os desdobramentos de uma reação alérgica se impõem difusamente sobre os tecidos;
- manifestações podem incluir erupções cutâneas pruriginosas, angioedema, coriza, estridor, dispneia, tosse, vômitos, diarreia, cólicas intestinais, tontura, lipotímia, hipotensão, taquicardia.




Angioedema e edema laríngeo (potencialmente letal) são repercussões possíveis da anafilaxia.






Referências bibliográficas
Gerais:
1. Kumar V, Abbas A, Aster J. Robbins & Cotran: Pathologic basis of disease. 9th ed. Elsevier; 2016.
2. O'Dowd G, Bell S, Wright S. Wheather's Pathology: A text, atlas and review of histopathology. 9th ed. Elsevier; 2020.
3. Klatt E. Robbins & Cotran: Atlas of pathology. 3rd ed. Elsevier; 2015.
4. Buja L, Krueger G. Netter's Illustrated human pathology. 2nd ed. Elsevier; 2011.
5. Goldblum J, et al. Rosai & Ackerman's Surgical pathology. 11th ed. Elsevier; 2017.
Específicas:
1. Abbas AK, Lichtman AH, Pilai S. Cellular and molecular immunology. 10th ed. Elsevier; 2022.
2. Rose NR, Mackay IR. The autoimmune diseases. 6th ed. Elsevier; 2020.








Referências bibliográficas
Complementares:
1. Sociedade Brasileira de Anatomia. Terminologia Anatômica. Manole; 2001.
2. Federative International Committee on Anatomical Terminology. Terminologia Histologica. LWW; 2008.
3. Ovalle WK, Nahirney PC. Netter: Bases da histologia. Elsevier; 2008.
4. Ross MH, Pawlina W. Histologia texto e atlas. 6ª ed. Guanabara Koogan; 2012.
5. Mills S. Histology for pathologists. 4th ed. LWW; 2012.
6. Alberts B, et al. Biologia molecular da célula. 6ª ed. Artmed; 2017.
7. Standring S. Gray's Anatomia: a base anatômica da prática clínica. 40ª ed. Elsevier; 2011.
8. Schunke M, Schulte E, Schumacher U. Prometheus: Atlas de anatomia. Guanabara Koogan; 2007.
9. Netter FH. Atlas de anatomia humana. 7ª ed. Elsevier; 2018.
10.Jansen JT, Netter FH. Netter's Clinical anatomy. 4nd ed. Elsevier; 2019.
11.Moore KL, Persaud PVN. Embriologia clínica. 10ª ed. Elsevier; 2016.
12.Boron W, Boulpaep E. Medical Physiology. 3rd ed. Elsevier; 2017.
13.Coico R, Sunshine G. Immunology. 7th ed. Wiley Blackwell; 2015.
14.Porto C, Porto A. Semiologia médica. 8ª ed. Guanabara Koogan; 2019.
15.Longo DL, Fauci AS, Kasper DL, et al. Medicina interna de Harrison. 18ª ed. Artmed; 2013.























"A rápida e recente evolução da inteligência humana não é apenas a causa, mas também a única solução concebível para os problemas mais sérios que nos afligem".