Medical Market - Radiologie și Imagistică medicală 2024

Page 1


Conf. Univ. Dr. Radu Baz

Președinte SRIMR

Prof Univ.

Dr. Ioana Gheonea

UMF Craiova

UMF „Carol Davila”, București

Prof. Univ.

Dr. Florin Bîrsășteanu

UMF „Victor Babeș”, Timișoara

Prof Univ.

Dr. Danisia Haba

UMF „Grigore T. Popa“, Iași

Prof Univ.

Dr. Viorela Enachescu

UMF Craiova

Prof. Univ.

Dr. Alina Popescu

UMF „Victor Babeș“, Timișoara

Conf. Univ.

Dr. Adela Golea

UMF „Iuliu Hațieganu“, Cluj

Conf. Univ.

Dr. Bogdan Popa

Președinte SNRIR

mai mult

Revista profesioniștilor din Sănătate • 2024 - 2025 • Publicație creditată B+

Citește
Prof. Univ. Dr. Ioana Gabriela Lupescu

Dr. Miruna-Elena Ispas

Medic Specialist Radiologie și Imagistică Medicală, Laborator Radiologie, Imagistică Medicală și Radiologie Intervențională, Institutul Clinic Fundeni

Dr. Nicoleta-Camelia Bar

Medic primar radiologie-imagistică medicală, Arcadia Medical Center, Iași

Dr. Mocrei Ariadna

UMF „Grigore T. Popa“ Iași, Spitalul Clinic de Urgență „Prof. Dr. Nicolae Oblu”

Dr. Alexandra-Elena Chichirău

UMF „Grigore T. Popa“ Iași, Spitalul Clinic de Urgență „Prof. Dr. Nicolae Oblu”

Dr. Diana-Andreea Ilinca

UMF „Grigore T. Popa“ Iași, Spitalul Clinic de Urgență „Prof. Dr. Nicolae Oblu”

Dr. Dan A. Stănescu

Coordonatorul Serviciului de Medicina Nucleară și Ultrasonografie, Institut Clinic Fundeni

Asist. Univ. Dr. Dan Costăchescu

Medic primar Radiologie și Imagistică Medicală, UMF „Victor Babes“ Timișoara

Șef Lucrări Dr. Mihai Lesaru

Imagistică Medicală și Radiologie Intervențională, Institutul Clinic Fundeni, UMF Carol Davila, București

Consultant medical: Dr. Aurora Bulbuc, medic primar Medicină de familie

Editor Calea Rahovei, nr. 266-268, Sector 5, Bucureşti, Electromagnetica Business Park, Corp 01, et. 1, cam. 4 Tel: 021.321.61.23 e-mail: redactie@finwatch.ro ISSN 2286 - 3443

„Evoluția spectaculoasă a aparaturii și tehnicilor utilizate de Imagistică Medicală aduce beneficii majore în diagnostic, monitorizare și tratament, dar și provocări semnificative“ 4

Navigarea pacientului cu cancer colorectal prin investigații imagistice: de la diagnostic la monitorizarea tratamentului

Prof. Univ. Dr. Ioana-Andreea Gheonea

Angiografia-CT multislice în diagnosticul morţii cerebrale: rol, recomandări tehnice și rezultat structurat

Prof. Univ. Dr. Ioana G. Lupescu

Rolul Imagisticii Medicale și al Whole-Body IRM în managementul mielomului multiplu

Prof. Univ. Dr. Florin Bîrsășteanu, Asist. Univ. Dr. Dan Costăchescu

Tehnici intervenționale de tratament în carcinomul hepatocelular

.Univ. Dr. Bogdan Popa

Disecția de arteră carotidă internă - ce trebuie să știe medicul radiolog?

Univ. Dr. Danisia Haba, Dr. Alexandra-Elena Chichirău, Dr. Diana-Andreea Ilinca

Limfomul mamar – o provocare diagnostic

Miruna-Elena Ispas, Prof. Univ. Dr. Ioana G. Lupescu, Șef

în evaluarea proceselor focale mamare

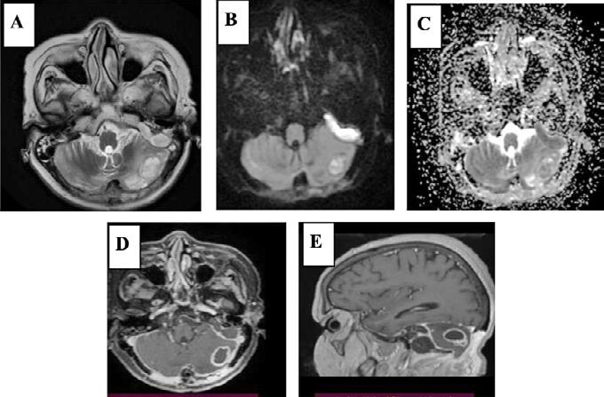
CT și IRM în diagnosticul complicațiilor intracerebrale ale otitei cronice

Univ. Dr. Danisia Haba, Dr. Mocrei Ariadna, Dr. Alexandra-Elena Chichirău, Dr. Diana-Andreea Ilinca

„Evoluția spectaculoasă a aparaturii și tehnicilor utilizate

de Imagistică Medicală aduce beneficii majore în diagnostic, monitorizare și tratament, dar și provocări semnificative“

Interviu realizat împreună cu Conf. Univ. Dr. Radu Baz, Președintele Societății de Radiologie și Imagistică Medicală din România

Stimate domnule preşedinte, experiența specialiştilor în Imagistică Medicală din România ultimilor 20-30 de ani este probabil unică în intreaga istorie a medicinei autohtone. Salturile spectaculoase privind aparatura şi tehnicile de investigație, într-o perioadă relativ scurtă, au impus eforturi susținute şi permanente din partea colegilor dumneavoastră pentru a ține pasul cu vremurile. Cum ați perceput dumneavoastră personal această evoluție şi cum apreciați activitatea colegilor din perspectiva amintită?

Evoluția Imagisticii Medicale din România în ultimele două-trei decenii a fost într-adevăr spectaculoasă și poate fi privită ca una dintre cele mai semnificative transformări în domeniul medical românesc. Personal, am fost martor la o modernizare accelerată a echipamentelor și tehnicilor de imagistică. Dacă la începutul anilor ’90 am pornit cu radiologia clasică, foarte clasică chiar, cu radioscopii la întuneric și developare în camera obscură a filmelor radiografice, într-un timp extrem de scurt am parcurs ecografia, tomografia computerizată și rezonanța magnetică nucleară, ajungând în prezent la tehnologii de ultimă generație, cum ar fi PET-CT și imagistica moleculară. Această tranziție rapidă a impus un efort considerabil de adaptare și perfecționare din partea colegilor mei, care au investit timp și resurse pentru a se menține la curent cu noile descoperiri și metodologii.

Din perspectiva mea, această evoluție a subliniat dedicarea și profesionalismul medicilor radiologi români, care au demonstrat o capacitate extraordinară de a asimila inovații tehnologice și de a le integra în practica clinică zilnică. Activitatea lor nu doar că a crescut standardele de di-

agnosticare și tratament, dar a și contribuit semnificativ la dezvoltarea unei imagistici medicale competitive pe plan internațional. Colaborarea internațională și participarea la cursuri și conferințe a accelerat acest progres, făcând din România un jucător important în domeniul radiologiei moderne. Cât de importante sunt rolul şi ponderea pe care Imagistica Medicală le are în procesul de diagnoză, deasemenea în cel de evaluare a pacientului pe parcursul unui tratament şi la finalul acestuia?

Se poate vorbi despre o presiune tot mai mare, poate chiar de natură să greveze activitatea colegilor dumneavoastră specialişti, în directă corelație cu accesul la aparatură tot mai performantă?

Imagistica Medicală joacă un rol esențial în toate etapele managementului pacientului, de la diagnosticare, la monitorizare și la evaluarea finală a eficacității tratamentului. Fiind capabilă să furnizeze informații detaliate și precise despre morfologia și funcția organelor interne, ima-

gistica este indispensabilă în diagnosticul unei largi game de afecțiuni. Pe parcursul tratamentului, diferitele tehnici imagistice permit monitorizarea continuă a evoluției bolii, oferind posibilitatea ajustării rapide a terapiei în funcție de modificările patologice observate. Imagistica de control joacă, de asemenea, un rol critic în evaluarea post-terapeutică a pacientului, confirmând răspunsul pozitiv sau identificând necesitatea unor intervenții suplimentare. Este o realitate indiscutabilă faptul că accesul la echipamente imagistice tot mai performante a crescut exponențial volumul de date pe care specialiștii noștri trebuie să le interpreteze. Dispozitivele moderne generează imagini cu o rezoluție extrem de mare și o cantitate mare de informație, crescând astfel complexitatea sarcinilor interpretative. Acest fapt poate exercita o presiune suplimentară asupra medicilor radio-imagiști, care trebuie să își îmbunătățească constant cunoștințele tehnice și teoretice și să facă prin aceasta față volumului tot mai mare de investigații într-un timp limitat.

În concluzie, evoluția rapidă a tehnologiilor de imagistică medicală aduce beneficii majore în diagnostic, monitorizare și tratament, dar și provocări semnificative pentru specialiștii din domeniu, care trebuie să integreze eficient noile tehnologii în activitatea lor zilnică. Lucru care nu este deloc ușor...

Pe măsură ce creşte ritmul în care apar instrumente de Imagistică tot mai sofisticate se impune o scurtare a timpilor necesari instruirii specialiştilor. Care este rolul SRIM în acest proces de educare continuă şi cât de repede poate fi, realist vorbind, acoperit decalajul între evoluția tehnicii şi elementul uman (pregatirea medicilor specialişti în Imagistică şi a tehnicienilor)?

Pe măsură ce tehnologia imagisticii medicale evoluează într-un ritm accelerat, instruirea continuă a specialiștilor devine o necesitate stringentă. Aparatura de imagistică tot mai sofisticată impune o adaptare rapidă a competențelor medicilor și tehnicienilor pentru a exploata la maxim aceste instrumente în diagnostic și tratament.

Societatea Română de Radiologie și Imagistică Medicală (SRIM) are un rol esențial în educarea și pregătirea continuă a specialiștilor din acest domeniu. SRIM organizează periodic cursuri, workshopuri, conferințe și congrese menite să actualizeze cunoștințele specialiștilor în funcție de noile tehnologii și descoperiri. Totodată, colaborările cu societăți europene și globale (merită menționate Societățile Germană și Franceză de Radiologie dar mai ales Societatea Europeana de Radiologie), sunt esențiale pentru uniformizarea cunoștințelor și alinierea la standardele internaționale.

Realist vorbind, durata necesară pentru reducerea decalajul dintre dezvoltarea tehnologică și instruirea specialiștilor depinde de complexitatea tehnologiei și de disponibilitatea programelor de formare. De exemplu, pentru unele inovații mai accesibile, formarea se poate face rapid prin cursuri online sau practici ghidate. În schimb, pentru tehnologiile emergente complexe precum inteligența artificială în imagistică, perioada de adaptare ar putea fi mai lungă, deoarece necesită o înțelegere mai profundă a noilor concepte și o schimbare a protocoalelor clinice și de reglementare.

În concluzie, SRIM joacă un rol fundamental în adaptarea resursei umane la ritmul alert al progreselor tehnologice din imagistica medicală. Deși procesul de pregătire continuă este unul complex, decalajul dintre inovațiile tehnologice și capacitatea specialiștilor de a le integra în practica clinică poate fi diminuat semnificativ prin programe eficiente de formare și actualizare profesională. Sau altfel spus, o aliniere rapidă între progresul tehnologic și pregătirea specialiștilor este posibilă doar printr-un efort comun, susținut, atât din partea organizațiilor profesionale, cât și a comunității medicale. Apreciați că legislația autohtonă reuşeşte să țină pasul în timp real cu evoluția Imagisticii Medicale, sau este necesar un apel la colegii medici din Comisia pentru Sănătate a Camerei Deputaților? Ar fi interesant un răspuns, în acelaşi

context, referitor la procedurile şi protocoalele medicale care vă reglementează activitatea. Concret, cum vedeti rolul SRIM în crearea unui cadru legislativ şi procedural adecvat?

În domeniul Imagisticii Medicale, legislația are un rol crucial privind asigurarea unui standard ridicat de practică și siguranță pentru pacienți. Însă, având în vedere ritmul rapid de evoluție al tehnologiei și al metodelor de diagnosticare, este adesea o provocare pentru legislație să țină pasul în timp real cu aceste schimbări. De exemplu, reglementările privind echipamentele de imagistică, sau siguranța și protecția datelor pacienților, pot rămâne în urmă față de progresele tehnologice recente. Prin urmare, este important să existe o comunicare continuă între medici și legislatori pentru a actualiza reglementările în mod corespunzător, iar consultarea în acest sens a colegilor medici din Comisia pentru Sănătate a Camerei Deputaților nu poate fi decât constructivă și benefică. În ceea ce privește Societatea de Radiologie și Imagistică Medicală din România (SRIM), ea poate contribui și influența determinant cadrul legislativ și procedural în domeniu prin câteva moduri. Astfel, în strânsă colaborare cu Comisia Consultativă de Radiologie și Imagistică Medicală a Ministerului Sănătății, SRIM elaborareaza și actualizeaza standardele și protocoalelor pentru practica din specialitatea noastră. Aceste standarde sunt esențiale pentru asigurarea calității, siguranței și eficienței procedurilor medicale. În strânsă colaborare cu alte organizații profesionale medicale, SRIM oferă, ori de câte ori este necesar, consultanță și expertiză autorităților legislative și de reglementare în domeniul radiologiei și imagisticii. Prin furnizarea de informații precise și actualizate despre cele mai bune practici și tehnologii, SRIM ajută la dezvoltarea unor reglementări care sunt atât eficiente, cât și realiste. Iar prin organizarea de cursuri de formare continuă pentru membrii săi, SRIM nu doar că îmbunătățește competențele profesionale, dar asigură cadrul necesar pentru ca toți practicienii să respectă cele mai recente reglementări și standarde legale.

În concluzie, chiar dacă legislația nu reușește întotdeauna să țină pasul cu inovațiile din domeniu, colaborarea dintre

profesioniști și autoritățile legislative, prin intermediul unor organizațiilor profesionale precum SRIM, este esențială pentru menținerea unui cadru legislativ și procedural adecvat. În completarea unei idei care leagă întrebările precedente, revenim pentru un update legat de demersurile Societății Europene de Radiologie în ce priveşte crearea unui material didactic în format digital, menit să ridice standardele educaționale ale țărilor europene în Imagistica Medicală. În ce stadiu se află acesta şi cât de avansată este a doua ediție a lucrării ce stă la baza pregătirii în domeniul Radiologiei şi Imagisticii Medicale din România?

Societatea Europeană de Radiologie (ESR) a făcut progrese semnificative în crearea și implementarea materialelor didactice digitale pentru a ridica standardele educaționale în Imagistica Medicală la nivel european. În acest sens, ESR a dezvoltat și implementat platforme educaționale digitale care includ resurse interactive, cursuri online și module de învățare bazate pe cazuri clinice. Toate aceste resurse sunt concepute pentru a sprijini formarea continuă a profesioniștilor din domeniu și pentru a îmbunătăți cunoștințele și competențele acestora într-un mod accesibil și actualizat. Materialul didactic digital este revizuit periodic pentru a reflecta cele mai recente progrese și tehnologii în domeniu. Resursele sunt disponibile pentru profesioniștii din întreaga Europă prin intermediul platformelor online ale ESR, care facilitează accesul și utilizarea acestora într-un mod flexibil și eficient.

Cea mai disponibilă dintre toate resursele menționate este reprezentată de a doua ediție a lucrării „eBook for Undergraduate Education în Radiology”.

Acest eBook este conceput ca un material didactic destinat studenților la medicină, rezidenților în primii ani de formare, precum și cadrelor didactice universitare din întreaga Europă, pentru a le permite să înțeleagă și să predea radiologia ca o disciplină coerentă. Documentul constă din capitole individuale care acoperă principalele subdomenii ale radiologiei, iar conținutul fiecărui capitol este furnizat de cei mai importanți experți europeni în domeniul respectiv. Prezentările de bază sunt gândite pentru a fi ușor asimilate și pentru

a oferi o bază solidă de cunoștințe și abilități esențiale tinerilor radiologi. Lucrarea a fost bine primită și este considerată un pas important în standardizarea educației în domeniu, fiind deja utilizată de unele instituții de învățământ și centre de formare profesională din România. Iar feedback-ul este colectat de noi și integrat în procesul de actualizare a materialelor, pentru a asigura relevanța și eficacitatea acestora. În concluzie, toate aceste demersuri subliniază angajamentul ESR de a îmbunătăți, împreună cu Societățile naționale inclusiv SRIM, educația și formarea profesională în domeniul Radiologiei și Imagisticii Medicale, asigurându-se că profesioniștii din întreaga Europă sunt bine pregătiți și la curent cu cele mai recente progrese din domeniu.

Congresul Național al SRIMR a ajuns anul acesta la ediția cu numărul XXVII şi va fi precedat, al doilea an consecutiv, de un curs sub egida programului ESOR Visiting Professorship. Câteva cuvinte, vă rugăm, despre invitații din acest an, deasemenea despre tematicile cursului şi Congresului.

Da, într-adevăr, am ajuns la cea de-a XXVII-a ediție a Congresului Național al Societății Române de Radiologie și Imagistică Medicală și da, avem plăcerea și onoarea de a organiza cu acest prilej un nou curs ESOR Visiting Professorship, pe o temă propusă de noi, respectiv radiologia uro-genitală. Este un curs cu durata de o zi, organizat de European School of Radiology (ESOR) ce aduce în România profesori internaționali de renume. Astfel, vor conferenția pentru noi: prof. Andrea Rockall (președinte în exercițiu al Societății Europene de Radiologie și Clinical Chair în Radiology at Imperial College London), alături de prof. Michele Bertoloto (președinte în exercițiu al Societății Europene de Uroradiologie și director medical al Unității de Radiologie Diagnostică și Intervențională a Univesității din Trieste, Italia) și nu în cele din urmă, prof. Pieter De Visschere (Universitatea Ghent, Belgia). Așadar, adevărate personalități ale radiologiei europene care ne susțin necondiționat în efortul nostru de a crea oportunități de învățare și perfecționare pentru rezidenții și specialiștii români. În aceeași ordine de idei, am plăcerea să anunț ca noutate absolută, organizarea

pentru prima oară în România, cu ocazia Congresului SRIM, a examenului pentru obținerea diplomei europene în radiologie. Oficial și complet susținută de Uniunea Europeană a Specialiștilor Medicali (UEMS) și de Societatea Europeană de Radiologie (ESR), diploma europeană în radiologie (EDiR) reprezintă o calificare suplimentară de excelență și servește ca un instrument pentru standardizarea și acreditarea radiologilor la nivel european și dincolo de granițele Europei. Pentru această sesiune de examen sunt înscriși cincisprezece tineri specialiști și rezidenți în ultimul an din România, cărora le ținem pumnii strânși.

Și mai avem un punct de interes în zilele de Congres, respectiv o serie de sesiuni atipice, hands-on Escape room, organizate deasemenea în colaborare cu Societatea Europeană de Radiologie. În cadrul acestor sesiuni, grupați în echipe cu câte 5 membri, concurenții trebuie să găsească contracronometru o serie de indicii ascunse pe diverse imagini radiologice, care să le permită să străbată un traseu până la premiile puse în joc.

În rest, Congresul Național, reunind aproape 700 participanți români și 15 invitați străini, își propune o tematică variată care reflectă diversitatea și complexitatea specialității noastre. Prin sesiuni plenare și mese rotunde vom căuta să punctăm în mod deosebit evoluțiile tehnologice, noile direcții de cercetare și schimbările survenite în practicile clinice. Câteva dintre direcțiile esențiale care definesc acest congres sunt: imagistica oncologică, radiologia intervențională, imagistica senologică, imagistica neurologică, toraco-pulmonara, cardiovasculară și bineînțeles inteligența artificială în imagistica. Merită o mențiune aparte sesiunile „short” destinate medicilor rezidenți, gândite pentru a-i încuraja să vorbească în public, scurt și la obiect, despre cazurile interesante cu care s-au intalnit și despre intreaga lor activitate de cercetare.

Nu pot să închei fără a menționa contribuția extrem de importantă a partenerilor SRIM în organizarea acestui eveniment. Pe plan științific trebuie remarcată Facultatea de Medicină a Universității „Ovidius” din Constanța, aceleași mulțumiri îndreptându-se și către partenerii noștri din industrie, cele 30 de companii care au ales să ne sprijine prin participarea cu un staff format din peste 70 specialiști.

Încheiem, în buna tradiție a anilor precedenți, cu un cuvânt adresat tuturor colegilor dumneavoastră din poziția de preşedinte SRIMR, care să sintetizeze obiectivele noului board şi intențiile Societății dumneavoastră până la următorul Congres Național.

Din poziția de președinte al Societății Române de Radiologie și Imagistică Medicală și în numele colegilor din noua echipă de conducere țin să subliniez intenția de a continua consolidarea și dezvoltarea acestei frumoase comunități profesionale pe câteva direcții prioritare:

• Creșterea standardelor profesionalepromovând educația medicală continuă, organizând cursuri și workshop-uri specializate și facilitând accesul la cele mai recente tehnologii și metode de diagnostic,

• Promovarea colaborării internaționale prin legături mai strânse cu organizațiile europene de radiologie, pentru a consolida integrarea radiologiei din România în cadrul marilor inițiative și proiecte globale. Astfel, vom facilita participarea membrilor SRIMR la evenimente și cursuri internaționale și vom sprijini eforturile de obținere a calificărilor recunoscute pe plan european, precum EdiR,

• Un alt pilon important al activității noastre va fi sprijinirea tinerilor radiologi, care reprezintă viitorul radiologiei românești. Vom continua să investim în programe dedicate rezidenților și tinerilor specialiști, oferindu-le acces la resurse educaționale de top și oportunități de formare,

• În era transformărilor tehnologice rapide, ne propunem să încurajăm implementarea și utilizarea celor mai noi tehnologii, cum ar fi inteligența artificială și imagistica de precizie, în practica noastră zilnică,

• Iar obiectivul nostru final este îmbunătățirea calității îngrijirii pacienților prin excelența în imagistica medicală. Vom colabora îndeaproape cu autoritățile de sănătate publică și cu alte organizații relevante, pentru a ne asigura că radiologia își păstrează locul central în gestionarea sănătății populației. Prin aceste eforturi comune, ne propunem să ridicăm standardele în diagnosticare și tratament, contribuind astfel la o îngrijire mai sigură, mai eficientă și mai precisă a fiecărui pacient.

Noua realitate din imagistica RM

Heliul este o resursă neregenerabilă, iar de�citul său a dus la creșterea prețurilor în ultimii ani pentru majoritatea utilizatorilor săi. Folosind un sistem RM fără heliu, cu magnet BlueSeal, puteți elimina riscurile asociate pierderii heliului.

Gestionați e�cient situațiile critice, atingând în același timp excelența clinică și operațională.

Au fost economisiți ~1. 9 mil

litri de heliu lichid.

Au fost instalate la nivel global mai mult de >1111

sisteme IRM cu magnet BlueSeal

Accesați pagina BlueSeal

Tehnologie dovedită cu peste 1111 sisteme instalate la nivel global.

Primul și unicul portofoliu RM 1.5T fără heliu din industrie extinde accesul la îngrijire pentru un număr mai mare de pacienți, în mai multe locații, oferind clinicienilor o calitate superioară a imaginilor pentru diagnostic.

Australia

Advanced Visualization Workspace

O soluție completă pentru creşterea gradului de automatizare şi cuanti�care

Soluţia Philips susţine imagistica CT spectrală, integrată direct în �uxul de lucru pentru citire radiologică. Tehnologia spectrală îmbunătăţeşte vizualizarea unei game largi de patologii, permiţând adesea detectarea timpurie a bolii şi un tratament mai abil ţintit. Imaginile de înaltă calitate pot � accesate de la distanță, pen tru vizualizare și diagnosticare, din cabinetul dumneavoastră sau direct de acasă.

• Un singur spaţiu de lucru radiologic care integrează VuePACS şi Advanced Visualization Workspace. Pentru interpretarea cazurilor, utilizatorii pot selecta din peste 70 de aplicații dedicate analizelor avansate CT și RM. În plus, inteligenţa art i�cială automatizează sarcinile şi �uxurile de lucru pentru multiple arii clinice de interes.

• Instrumentele 3D și gra�cele avansate ajută la vizualizarea, prezentarea și comunicarea informațiilor clinice, contribuind la o colaborare e�cientă. Un exemplu de astfel de instrumente este urmărirea evoluției tumorale.

*

• Funcțiile de proiectare, precum automatizarea �uxului de lucru și segmentarea, vă oferă rapid informațiile de care aveți nevoie pe tot parcursul procesului de îngrijire.

Mai multe necesități clinice

Mai multe modalități

O soluție

Mai multe seturi de date despre pacienți

Mai multe aplicații și sisteme de scanare terțe

Mai multe sisteme de date imagistice

• Un singur set de licențe

• O singură versiune

• O singură platformă avansată pentru toate modalitățile

• Un singur punct de prestare a serviciilor

Navigarea pacientului cu cancer colorectal

prin investigații imagistice: de la diagnostic la monitorizarea tratamentului

Colorectal cancer patient navigation through imaging investigations: from diagnosis to treatment monitoring

Colorectal cancer (CRC), including rectal cancer, is a major public health problem worldwide. Ranked as the third most common malignancy globally, CRC recorded approximately 1.9 million new cases and was responsible for 0.9 million deaths in 2020, thus ranking the second leading cause of cancer mortality [1 ] .

Statisticile amintite subliniază gravitatea acestei afecțiuni și necesitatea unor abordări eficiente și bine coordonate în diagnostic și tratament. Incidența CRC este mai ridicată în țările dezvoltate, dar este în creștere și în regiunile cu venituri medii și scăzute, reflectând impactul global al acestei madalii. Proiecțiile sugerează o creștere semnificativă a numărului de cazuri până în 2040, când se estimează că vor exista 3,2 milioane de cazuri noi și 1,6 milioane de decese, majoritatea în țările cu un indice de dezvoltare umană ridicat sau foarte ridicat [2]

Cancerul rectal a înregistrat o creștere anuală a incidenței de aproximativ 2,29% între anii 2000 și 2016, cu cea mai mare incidență observată în grupa de vârstă 40-44 de ani [3]. Această tendință ascendentă evidențiază nevoia de îmbunătățire a programelor de screening și de diagnostic precoce, precum și a strategiilor terapeutice care să răspundă eficient provocărilor impuse de stadializarea avansată la prezentare.

În acest context, abordarea multidisciplinară devine esențială pentru un diagnostic corect și pentru stabilirea unui plan de tratament personalizat. Deși investigațiile clinice și de laborator joacă un rol important în stabilirea suspiciunii de cancer rectal, tehnicile imagistice au un

rol central nu doar în diagnosticarea de precizie, ci și în stadializarea, planificarea tratamentului și monitorizarea răspunsului la terapiile aplicate. Imagistica modernă, constând în tomografie computerizată (CT) și imagistică prin rezonanță magnetică (IRM), oferă date esențiale care contribuie la definirea traseului terapeutic al pacienților cu cancer rectal.

Acest articol prezintă un parcurs clar și comprehensiv al rolului investigațiilor imagistice în managementul cancerului rectal. El se adresează nu doar radiologilor, ci și medicilor din diverse specialități implicate în îngrijirea pacienților oncologici, subliniind importanța colaborării între specialități pentru a asigura o gestionare optimă a pacienților.

De la suspiciune clinică la imagistică

Atunci când un pacient se prezintă la medic cu simptome clinice sugestive de cancer rectal (ex. sângerări rectale, alterare a tranzitului intestinal, tenesme, scădere inexplicabilă în greutate), prima etapă constă într-o evaluare clinică atentă, urmată de investigații de specialitate precum colonoscopia, care permite vizualizarea directă a leziunilor suspecte și biopsia acestora. Odată confirmat diagnosticul histopatologic, pacientul este îndrumat către medicul oncolog sau chirurgul oncolog, care va solicita o evaluare imagistică detaliată.

Aici intervine radiologul, care are un rol esențial în completarea tabloului diagnostic. Prin metodele imagistice actuale se poate determina extensia tumorii la

nivel local, prezența invaziei în structurile de vecinătate, metastazele regionale sau la distanță și, astfel, se poate stabili stadiul cancerului. Stadializarea corectă este crucială, deoarece ghidează conduita terapeutică, precum alegerea între chirurgie, chimioterapie, radioterapie sau o combinație a acestora.

Principalele instrumente de care medicul radiolog dispune în prezent în evaluarea pacientului cu cancer rectal sunt ultrasonografia endorectală (ERUS), tomografia computerizată (CT) și imagistica prin rezonanță magnetică (IRM). În prezent, cel mai adesea este folosită o combinație între ultimele două.

Rolul CT-ului în managementul cancerului rectal

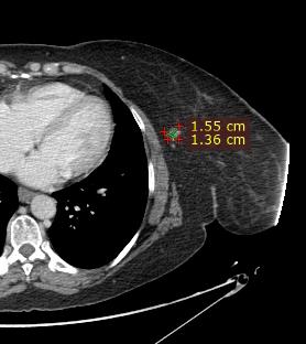
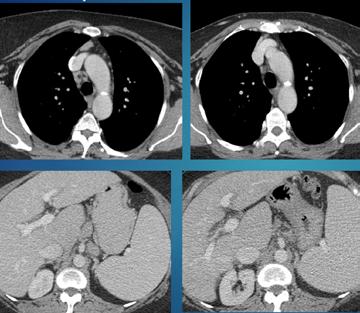
Tomografia computerizată (CT) este una dintre primele investigații imagistice recomandate după confirmarea diagnosticului de cancer rectal. Aceasta poate oferi și unele informații despre invazia tumorală locală, dar rolul ei principal astăzi constă în evaluarea extensiei la distanță a bolii, fiind excelentă pentru identificarea metastazelor pulmonare și hepatice. CTul permite o evaluare rapidă și detaliată a cavității abdominale și toracice, având un rol cheie în stadializarea TNM (Tumor, Node, Metastasis) a cancerului.

Protocolul de examinare prin CT include utilizarea substanței de contrast intravenoase pe bază de Iod pentru a evidenția tumora primară și leziunile secundare. Examinarea durează, în general,

Prof. Univ. Dr. Ioana-Andreea Gheonea
Universitatea de Medicină și Farmacie din Craiova

aproximativ 10-20 de minute, în funcție de complexitatea cazului și de necesitatea explorării mai multor regiuni anatomice. În mod uzual, în cadrul stadializării inițiale sunt evaluate toracele, abdomenul si pelvisul. De menționat că investigația CT este una iradiantă pentru pacient, raportul risc-beneficiu fiind totuși net în favoarea efectuării acesteia la pacienții diagnosticați cu cancer rectal.

Examinarea CT poate fi combinată cu tomografia cu emisie de pozitroni (PET), formând o tehnică de imagistică hibridă cunoscută sub numele de PET-CT. Aceasta presupune injectarea unui radiotrasor, de obicei fluorodeoxiglucoză (FDG), care se acumulează în zonele cu activitate metabolică crescută, tipică celulelor tumorale. Imagistica PET evidențiază aceste regiuni metabolice active, în timp ce CT-ul suprapus oferă detalii anatomice precise. PET-CT este o tehnică avansată, rezervată unor cazuri selectate, deosebit de utilă în stadializare în privința leziunilor secundare sau recidivei tumorale.

Importanța IRM-ului

în stadializarea

loco-regională

Deși CT-ul este deosebit de util în evaluarea metastazelor, imagistica prin rezonanță magnetică (IRM) reprezintă standardul de aur pentru examinarea detaliată a extensiei loco-regionale în cazul tumorilor rectale (stadiul T). IRM-ul pel vin permite o caracterizare precisă a tumorii primare și a invaziei acesteia în structurile adiacente, precum grăsimea mezorectală, fascia mezorectală, peritoneul, aparatul sfincterian, vezica urinară sau organele genitale. De asemenea, este

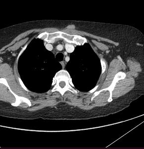
Metastaze pulmonare. Examen CT multislice, fereastră pulmonară, plan axial.

Din colecția Centrului de Imagistică, UMFCV

Tumoră rectală. Examen IRM, secvența T2 ponderată, plan sagital.

Din colecția Centrului de Imagistică, UMFCV

excelent pentru identificarea ganglionilor limfatici afectați (stadiul N), precum și în identificarea altor markeri cu valoare prognostică (invazia vasculară extramurală, depozitele tumorale ș.a.).

Protocolul de examinare prin IRM în cancerul rectal implică o serie de pași pregătitori, indicați pentru a asigura o vizualizare optimă a pereților rectali, lipsită de artefacte. Aceștia includ efectuarea unei microclisme pentru a goli lumenul rectal de resturi fecale, administrarea de spasmolitice (ex. Buscopan) pentru reducerea mișcărilor peristaltice și, eventual, administrarea intrarectală de apă sau gel. Examinarea propriu-zisă durează, în medie, 30-45 de minute și include secvențe T2 ponderate, realizate în mai multe planuri, pentru evaluarea detaliată a tumorii și a extensiei locale, dar și secvențe de difuzie și secvențe cu contrast dinamic pentru o caracterizare suplimentară a biologiei tumorii.

Întoarcerea la radiolog – evaluarea răspunsului la tratament

După stabilirea stadiului tumoral și a planului terapeutic, care poate include radiochimioterapie neoadjuvantă (în general la pacienții cu boală local-avansată), pacientul va reveni la medicul radiolog pentru restadializare. Scopul acestui pas este de a evalua răspunsul la tratament și de a determina dacă formațiunea tumorală s-a micșorat suficient pentru a permite o rezecție chirurgicală cu viză curativă sau mai puțin invazivă. Acest proces de reevaluare se face, de obicei, tot prin IRM pelvin, iar în cazul în care există suspiciuni ale

bolii metastatice, se poate solicita un nou CT pentru a evalua întregul organism.

Este important de menționat că investigațiile imagistice nu sunt doar un instrument diagnostic, ci și o metodă de monitorizare pe termen lung a pacienților, pentru a identifica posibile recidive tumorale, precum și pentru urmărirea în timp a celor aflați în faza de paliație.

Concluzii

În concluzie, investigațiile imagistice, în special CT și IRM, sunt esențiale în managementul cancerului rectal, de la stadializarea inițială și până la monitorizarea post-tratament. Ele oferă medicilor informații detaliate despre extensia tumorii și răspunsul la tratament, ghidând astfel deciziile terapeutice. Pacientul cu cancer rectal va avea multiple interacțiuni cu serviciile de imagistică, în fiecare etapă a parcursului său de tratament, ceea ce subliniază rolul central al radiologilor în colaborarea multidisciplinară.

Astfel, imagistica devine un aliat indispensabil atât pentru pacient, cât și pentru echipa medicală, facilitând o gestionare precisă și eficientă a acestei patologii oncologice complexe.

Referințe

1. Xi Y, Xu P. Global colorectal cancer burden in 2020 and projections to 2040. Transl Oncol. 2021;14(10):101174. doi:10.1016/j.tranon.2021.101174

2. Morgan E, Arnold M, Gini A, et al. Global burden of colorectal cancer in 2020 and 2040: incidence and mortality estimates from GLOBOCAN. Gut. 2023;72(2):338-344. doi:10.1136/gutjnl-2022-327736

3. Ramai D, Ofosu A, Solanki V, et al. Incidence Rates, Treatment, and Survival of Rectal Cancer Among Young Patients: A Nationwide Cohort Study. J Clin Gastroenterol. 2021;55(6):534-541. doi:10.1097/ MCG.0000000000001381

Angiografia-CT multislice în diagnosticul morții

cerebrale: rol, recomandări tehnice și rezultat

structurat

Multislice CT angiography for brain death diagnosis: role, technical recommendations and structured report

Rezumat. De a prezenta și discuta rolul angiografiei CT multislice (ACTMS) ca și tehnică complementară în diagnosticul morţii cerebrale. De a revizui recomandările tehnice ale ACTMS și rezultatul structurat.

AProf. Univ. Dr. Ioana G. Lupescu

Radiologie, Imagistică Medicală și Radiologie intervenţională

I.C.Fundeni, UMF „Carol Davila”

bstract. To present and discuss the multislice CT angiography (MSCTA) role as a complementary technique in the brain death diagnostic. To review the MSCTA technical recommendations and the structured report.

Introducere

Definiţie. Moartea cerebrală (MC) corespunde unei pierderi ireversibile a funcțiilor creierului, inclusiv a trunchiului cerebral și a sistemului nervos autonom, consecință a stopului circulator complet legat de creșterea presiunii intracraniene (PIC). Încetarea completă a circulației intracerebrale apare atunci când presiunea de perfuzie cerebrală (PPC) nu mai este suficientă pentru a permite fluxul sanguin (1-4) .

Principalele cauze ale MC sunt reprezentate de: accidentul vascular cerebral, traumatismul cranio-cerebral sever, anoxia cerebrală (prin intoxicare cu monoxid de carbon, înec, spânzurare etc.).

Toţi factorii „de confuzie” trebuie să fie eliminați deoarece pot modifica examenele clinice și paraclinice. Acești factori sunt reprezentați de: hiponatremie, hipercalcemie, hipoglicemie, insuficiență hepatică severă, tulburări acido-bazice, tulburări endocrine, insuficiență suprarenaliană, insuficiență tiroidiană, hipotermie (<35°), stare de șoc (tensiune arterială medie < 50 mmHg), tratament medicamentos (bar-

biturice, opioide, propofol), intoxicatii, curarizare, traumatism sever la nivel cranio-cerebral și la nivelul gâtului, leziuni oculare, fracturi faciale complexe (2)

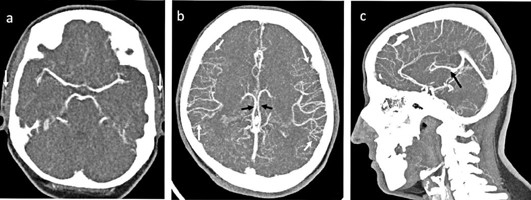
Diagnosticul clinic al MC se bazează pe următoarele 3 elemente clinice: comă profundă cu un scor Glasgow de 3, abolirea tuturor reflexelor trunchiului cerebral, absenţa respiraţiei spontane, după un test de hipercapnie. Cele două examinări paraclinice utilizate in completarea diagnosticului clinic de MC sunt angiografia-CT cerebrală multislice sau electroencefalograma (EEG). Dopplerul transcranian (TCD) este util pentru alegerea momentului realizării lor (1-4)

ACTMS trebuie efectuată: după o perioadă de 6 ore de la diagnosticul clinic, la un pacient stabil hemodinamic (media presiunii arteriale > 65 mmHg) (1) . Cronologic, oprirea sistemului circulator interesează in primul rând ramurile corticale ale arterele cerebrale medii, apoi ramurile proximale a poligonului Willis și în final circulaţia vertebro-bazilară. Efectul întârziat asupra circulației posterioare s-ar explica prin rolul protector al tentoriului cerebelului împotriva creșterii presiunii intracraniene. Absența opacifierii venelor cerebrale interne în ACT constituie cel mai precoce, mai sensibil și mai specific semn al MC demonstrând stopul circulator în etajul supratentorial (2)

ACTMS are 2 obiective: confirmarea stării de MC iar la donatori evaluarea organelor înainte de prelevare pentru transplant.

Tehnică (protocol)

CT nativă centrată la nivelul etajului cranio-cerebral

ACTMS cranio-cerebrală cu contrast iodat injectat i.v. realizată la 20 sec (în

fază arterială ) și respectiv după 60 de sec (în fază venoasă) de la debutul injectării.

Volum injectat și debit. Injectarea de 2 ml/kg corp (doza maximă: 120 ml) de contrast iodat non ionic este suficientă și trebuie efectuată printr-un acces venos care permite un debit de 3 ml/sec, cel mai bine folosind o branulă plasată într-o venă de la plica cotului. Fereastra utilizată în analiza imaginilor CT trebuie să fie aceeași în diferitele faze ale achiziţiei postcontrast.

Obligatoriu postinjectare de identificat ramurile superficiale ale arterelor temporale de partea dreaptă și stângă (1-4)

În anumite cazuri, examinarea CT cerebrală fără contrast poate fi urmată de o scanare centrată la nivelul toracelui, abdomenului și pelvisului (TAP) nativă pentru a evalua calcificările vasculare în particular cele de la nivelul arterelor coronare. In fereastra dintre cele două pasaje cerebrale (între cea de la 20 de sec. și cea realizată după 60 de sec. de la debutul injectării) se poate face o trecere de tip ACT la nivel TAP în faza arterio-portală la 35-40 de secunde de la debutul injectării (5,6)

Reconstrucţii: MIP/MPR în plan sagital și axial/ coronal (1-4)

Analiza imaginilor de ACTMS

Scorul privind absenţa opaciferii vasculare intracerebrale (1-4)

• Condiție preliminară: vizualizarea arterelor temporale superficiale (dreaptă și stângă), care atestă injectarea i.v. corectă a produsului de contrast

• Studiul opacifierii ramurilor corticale ale arterelor cerebrale medii (M4) drepte și stângi și a venelor cerebrale interne drepte și stângi (Fig.1).

Fig.1 ACTMS cranio-cerebrală, recon MIP în plan axial (a,b) și sagital (c): aspect normal; (a) opacifierea arterelor temporale dreaptă și stângă (săgeţi); (b) opaciferea ramurilor corticale ale arterelor cerebrale medii (M4)-săgeţi albe; opaciferea venelor cerebrale interne dreaptă și stângă (săgeţi negre-b și c).

Semiologie:

▶ Absența opacifierii M4 = 1 punct

▶ Opacifierea M4 = 0 punct

▶ Absența opacifierii venei cerebrale interne = 1 punct

▶ Opacifierea venei cerebrale interne = 0 puncte

• Un scor egal sau mai mare de 3 confirmă stopul circulator intracerebral. In acest caz, concluzia examinării este: „stop circulator intracerebral” care vine în sprijinul diagnosticului clinic de moarte cerebrală sau aspect ACT compatibil cu moartea cerebrală

• În caz contrar, concluzia examinării este „absența opririi circulatiei intracerebrale”, situaţie în care diagnosticul clinic de MC nu este confirmat.

Discuţii și concluzii

Criteriile de diagnostic in favoarea MC în ACTMS sunt complementare semnelor clinice de moarte cerebrală. ACT cerebrală nu trebuie efectuată decât după confirmarea stării de MC din punct de vedere clinic, conform testelor în vigoare (2,4). Testul de hipercapnie care face parte din testele clinice trebuie sistematic efectuat înainte de ACTMS, cu excepția cazului în care se dovedește imposibil de realizat (de exemplu: obezitate morbidă, hipoxemie severă).

Explorarea ACTMS cerebrală este o metodă imagistică non-invazivă, rapidă, accesibilă, cu o excelentă rezoluţie spaţială și cu un protocol standardizat. La donatorul aflat în moarte cerebrală, în protocol

poate fi inclusă scanarea TAP pentru evaluarea variantelor anatomice și a structurilor parenchimatoase. În acest ultim caz, în rezultatul CT există o parte dedicată evaluării cerebrale și o parte pentru examinarea TAP. Este necesar ca, fiecare trecere să dureze mai puțin de 15 secunde.

În cazul opacifierii unilaterale a uneia dintre cele două artere cerebrale medii, diagnosticul de MC poate fi afirmată dacă este absentă opacifierea venelor cerebrale interne (Fig,2).

In traumatismele cranio-cerebrale severe există frecvent sânge în contact cu venele cerebrale profunde și acest lucru îngreunează interpretarea. De asemenea, este necesar să se verifice dacă pacientul nu a mai avut o altă examinare imagistică cu injectare de contrast în orele anterioare care sa ducă la o concluzie eronată.

Bibliografie

1. Clarenceau F, Degos V, Lecqlerc D., et al. Le scanner de mort cérébrale. Journal d’imagerie diagnostique et interventionnelle 2020, 3, 157-161.

2. Société francaise de neuroradiologie, Société francaise de radiologie, Agence de la biomédecine Recommandations sur les critères diagnostiques de la mort encéphalique par la technique d’angioscanner cérébral. Journal of Neuroradiology 2011, 38, 36-39.

3. Escudero D, Otero J, Marques L, et al. Diagnosing Brain Death by CT Perfusion and Multislice CT Angiography. Neurocritical care, 2009, 11, 261-271.

4. Leclerc X, Taschner CA, Vidal A, et al. The role of spiral CT for the assessment of the intracranial circulation in suspected brain death. J Neuroradiol 2009;33:90-95.

5. Berthier R, Ridereau -Zins C, Dube L. Simultaneous CT angiography and whole-body CT is an effective imaging approach before multiorgan retrieval. Diagnostic and Interventional Imaging 2017, 98, 235-243.

6. Fregeville A, de Bazelaire C, Zagdanski AM, et al. Value of whole-body CTA in the management of brain dead patients. J Radiol 2010;91:37-44.

7. Ridereau-Zins C. Compte-rendu : angioscanner cérébral pour confirmation de l’état de mort encephalique. JFR, diagnostique et interventionnelle 2014.

2 Rezultat structurat ACTMS cerebrală în diagnosticul MC (7)

Nume şi Prenume: Data naşterii: Data şi ora examinării:

Tehnică: Evaluarea CT nativ are rol de a exclude: hemoragia cerebrală/ hemoragia meningee/ semnele de angajare/ edemul

Evaluarea CT postcontrast (ACTMS): Scor

1- Absenţa opacifierii

Artere corticale ale ACM drepte 1

Artere corticale ale ACM stângi 1

Vena cerebrală internă dreaptă 1

Vena cerebrală internă stângă 1

2- Prezenţa opacifierii

Concluzie: Un scor egal sau mai mare de 3 vine în sprijinul diagnosticului de moarte cerebrală

Fig.

Rolul Imagisticii Medicale și al Whole-Body IRM în managementul mielomului multiplu

The role of imaging and Whole-Body MRI in the management of multiple myeloma

Abstract: Magnetic resonance imaging (MRI) is currently recommended by the National Comprehensive Cancer Network (NCCN) guidelines as well as the International Myeloma Working Group (IMWG) guidelines as the first imaging modality to be used in patients with suspected multiple myeloma (MM), also in patients who have already been diagnosed. Over the past decade, whole-body magnetic resonance imaging (WBMRI) has demonstrated extremely high sensitivity in evaluating and detecting bone marrow infiltration, which is typical of multiple myeloma, infiltrative changes that occur before bone is destroyed. CT and radiographic examinations, on the other hand, cannot detect marrow infiltration. The two techniques are useful only later in the natural course of the disease, when lytic bone lesions occur. Although MRI examination is sensitive to describe the types of marrow infiltration and extraosseous lesions, currently serologic criteria are used for staging multiple myeloma, which may lead to false positive or false negative results in some cases.

Prof. Univ.

Dr. Florin Bîrsășteanu

Medic primar Radiologie

și Imagistică Medicală, UMF „Victor Babes“ Timișoara

Asist. Univ.

Dr. Dan Costăchescu

Medic primar Radiologie

și Imagistică Medicală, UMF „Victor Babes“ Timișoara

Definiție și istoric

Mielomul multiplu (MM) este o boală malignă care este inclusă într-un spectru larg de boli hematologice care includ gamapatia monoclonală cu semnificație necunoscută (MGUS), mielomul multiplu asimptomatic și leucemia cu celule plasmatice. Una dintre specificațiile MM este aceea că clonele de celule formatoare de anticorpi (celule plasmatice) devin maligne și astfel pot provoca manifestări clinice neobișnuite cu repercusiuni severe. MM a fost descris pentru prima dată de Solly în 1844 și este caracterizat printr-o proliferare anormală a unei clone plasmatice care conduce la o abundență ulterioară de paraproteine monoclonale (proteine M) [1] .

Diagnosticul de Mielom Multiplu:

Cele mai multe dintre semnele și simptomele comune care sunt evidente în MM pot fi explicate prin abrevierea „CRAB”. Acronimul CRAB reprezintă hipercalcemie, insuficiență renală, anemie și leziuni osoase litice care pot fi evidențiate prin metode imagistice precum radiografia, tomografia computerizată sau IRM[2].În trecut, un diagnostic de MM necesita prezența leziunilor de organ, așa cum este definit de criteriile CRAB [3]. În 2015, IMWG a redefinit criteriile pentru diagnostic de MM prin adăugarea „evenimentelor definitorii de mielom”[3]. Ținând cont de acest lucru, criteriile CRAB sunt acum considerate mai mult sau mai puțin învechite, de aceea tratamentul trebuie inițiat înainte de apariția semnelor și simptomelor incluse în criteriile CRAB. „Evenimentele definitorii pentru mielom”, au fost asociate cu o progresie aproape inevitabilă spre afectare de organ și, astfel, definesc biomarkeri pentru MM. Luând în considerare acest lucru, pacienții cu risc ridicat pot fi diagnosticați într-un stadiu incipient dacă este prezent doar unul dintre „evenimentele definitorii de mielom” [3].Criteriile IMWG revizuite pentru MM activ vor crește

prevalența cunoscută a MM activ și vor schimba rezultatele terapeutice. Workupul diagnostic recomandat la pacienții cu o anumită formă de evidență a unei proteine monoclonale in ser ar trebui să includă hemoleucograma, biochimie care să includă nivelurile plasmatice ale calciului, creatininei și albuminei. Beta 2 microglobulina trebuie, de asemenea, dozată, deoarece acesta este un factor de prognostic foarte important înainte de inițierea tratamentului. Pacientul trebuie apoi să fie supus celor trei sau patru tehnici diferite de măsurare a proteinei monoclonale. Toți pacienții trebuie să fie supuși unei biopsii de măduvă osoasă, iar biopsia trebuie să includă citogenetică, evaluare „FISH” și imunohistochimie[4, 5] .

Rolul Imagisticii în managementul

Mielomului Multiplu:

Deoarece boala osoasă este o complicație majoră a MM, imagistica scheletului este extrem de importantă. Cele mai recente recomandări imagistice elaborate de IMWG[6] ce datează din 2019 stabilesc prioritatea în utilizare a diferitelor metode de imagistică. În prezent, IMWG recomandă utilizarea metodelor imagistice moderne

Lentilele MiYOSMART pentru soare, o soluție eficientă și non-invazivă de management al miopiei, ce protejează împotriva luminii intense.

precum PET-CT, Low-dose CT si WBIRM în funcție de indicația clinică și de resursele fiecărui spital[6]. După cum se menționează în criteriile revizuite[6], pentru diagnosticul de MM o singură leziune litică > 5 mm detectată la CT sau PETCT este considerată suficientă pentru a îndeplini criteriile CRAB, indiferent dacă această leziune este vizibilă radiologic (o metodă cu sensibilitate mult mai scăzută comparativ cu metodele de imagistică secțională). Dacă captarea anormală a trasorului FDG în schelet este vizualizată PET-CT, leziunile litice subiacente trebuie să fie prezente pentru ca modificările să fie clasificate ca leziuni în contextul mielomului multiplu. Cu toate acestea, osteodensitometria (DEXA) nu este adecvată pentru diagnosticul MM, deoarece modificările osteoporotice prezente sunt cel mai adesea asociate cu îmbătrânirea. De asemenea, prezența tasărilor vertebrale fără evidențierea de leziuni osteolitice asociate este insuficientă pentru diagnosticul de MM.

În cazul MGUS suspectat cu risc ridicat, IMWG recomandă Wbole-Body CT pentru a exclude mielomul multiplu, chiar dacă WB-IRM este o metodă mai sensibilă, dar mai puțin disponibilă în multe spitale. WB-IRM este recomandat la pacienții cu plasmocitom osos solitar în timp ce PET-CT este recomandată în cazuri de plasmocitom cu localizare extramedulară; Se recomandă totodată urmărirea anuală completă cu metoda imagistică inițială. În cazul MM suspectat, metoda imagistică de elecție pentru diagnostic este fie Whole-Body CT, fie PET-CT; dacă în urma examinării Whole-Body-CT nu sunt evidențiate leziuni sugestive pentru mielom multiplu și nu sunt prezente alte evenimente definitorii de mielom, se recomandă utilizarea WBIRM [6]

Examinarea WB-IRM:

WB-IRM este posibil din punct de vedere tehnic de ani de zile și îsi găsește din ce în ce mai multe domenii de aplicare în medicină. În ultimele două decenii au existat multiple îmbunătățiri atât în tehnica de scanare, precum și în partea de hardware a sistemelor IRM, acestea ducând la creșterea omogenității câmpului magnetic și evoluție a sistemelor de gradient care au facilitat implicit introdu-

cerea de noi secvențe precum DWI(Diffusion weighted imaging) [8]

O multitudine de lucrări publicate care evidențiază contribuția DWI în detectarea, caracterizarea și monitorizarea răspunsului la tratament în toate tipurile de neoplazii au făcut din această secvență pilonul examinării WB-IRM [9]. Odată cu îmbunătățirea tehnicii, timpii de examinare au scăzut sub 40 de minute ceea ce a făcut ca metoda să fie comună în multe laboratoare de imagistică, devenind totodată una apreciată pentru evaluarea multor patologii oncologice [10, 11], inclusiv MM.

Examenul WB-IRM poate fi personalizat în funcție de patologia neoplazică. Astfel în cazul pacienților diagnosticați cu MM protocolul de scanare va evalua întregul schelet de la vertex până la nivelul genunchilor; în funcție de tipul de instalație IRM, imaginile putând fi achiziționate în mai multe calupuri, în general 5 (craniu, regiune cervicala, torace, abdomen, respectiv pelvis și 1/3 proximală coapse); pacientul va fi mutat cu ajutorul mesei de examinare conform stației de scanare aflată în izocentrul câmpului magnetic. Imaginile sunt în general achiziționate în plan axial și, în general, este de dorit ca diferitele secvențe să aibă același număr de slice-uri pentru o comparație mai ușoară; imaginile obținute în plan axial (de exemplu DWI) vor fi reconstruite pentru a fi examinate ca un întreg; reconstrucțiile volumetrice pot fi făcute și pentru a ajuta la o analiză mai ușoară a volumului tumoral total [12]

Whole-Body IRM - Protocol de examinare în Mielomul Multiplu a.Secvențe IRM convenționale (morfologice)

Cele mai frecvent utilizate secvențe pentru evaluarea infiltrării medulare osoase sunt ponderațiile T1 și T2; în funcție de analiza acestora se poate evalua cantitatea de maduvă roșie și galbenă, împreuna cu eventuala infiltrare medulară tumorală; în plus, există și secvențe de tip ‘chemical shift’ a căror valoare este de a diferenția intre osul cu măduvă hematogenă de osul infiltrat tumoral. Cu toate acestea, secvența T1 este cea mai utilă în evaluarea măduvei osoase(datorită conținutului crescut de grăsime din măduva hematogenă semnalul acesteia va fi crescut față de mușchi în ponderația T1); în cazul în care măduva osoasă prezintă in-

filtrare tumorală, semnalul T1 va fi mai scăzut comparativ cu musculatura[13].Mai mult, dacă se dorește un contrast mai crescut între diferite regiuni ale măduvei osoase se pot efectua secvențe cu supresie de grăsime precum FATSAT sau STIR, cea din urmă ponderație determinând o saturație mai omogenă, fiind o secvență mai puțin „pretențioasă” [14] . Aceste secvențe morfologice sunt de asemenea extrem de utile fiind complementare DWI în aprecierea răspunsului la tratament, prin normalizarea intensității semnalului atunci când infiltratul plasmatic este înlocuit cu măduvă osoasă hematogenă[15]

b. Ponderația DWI (Diffusion Weighted Imaging)

DWI este o secvență funcțională extrem de bună în analiza măduvei osoase datorită sensibilității sale în evaluarea densității celulare, precum și a conținutului relativ de apă și grăsime [16]. Secvența DWI este achiziționată în plan axial folosind diferite valori b (0, 50, 200, 600, 800 s/mm2). Semnalul obținut va fi direct proporțional cu numărul de celule prezente pe mm2 precum și cu puterea gradientului de difuzie utilizat [17]

Evaluarea inițială a măduvei osoase se va face prin examinarea semnalului corpilor vertebrali pe imagini cu valori b ridicate (în general b=800); astfel, în cazul evidenței leziunilor în hipersemnal pe ponderația DWI, acestea vor fi încadrate ca zone de infiltrare tumorală dacă valorile ADC sunt invers proporționale; această metodă de evaluare inițială este extrem de utilă în practică întrucât leziunile patologice sunt extrem de evidente atât pentru radiolog cât și pentru clinician[18].

Patternuri de infiltrare a măduvei osoase în MM decelate prin IRM (figura )

Leziunile infiltrative și nodulare întâlnite în MM prezintă hiposemnal T1 datorită absenței grăsimii și cantității crescute de plasmocite din interior; ele prezintă în general un semnal T1 scăzut în comparație cu discurile intervertebrale și musculatura. Pe de altă parte, leziunile prezintă aspect hiperintens pe secvențele T2 FAT SATURATION sau STIR datorită conținutului ridicat de apă și celule, aspect similar altor leziuni osoase maligne[19].

Leziunile MM sunt prezente predominant în scheletul axial și anume vertebre (66%), pelvisul osos (30%) și într-o măsură mai mică la nivelul scheletului extra-axial (coaste, schelet apendicular) [20] În literatură sunt descrise cinci tipuri de infiltrare a măduvei osoase în mielomul multiplu: măduvă cu aspect normal, infiltrare focală a măduvei osoase, infiltrare difuză, infiltrare de tip “sare și piper” și infiltrare combinată focală și difuză [21, 22]; Există o multitudine de studii apărute în literatură care corelează aceste tipuri de infiltrare medulară cu modificările vizualizate la examenele morfo-patologice [23, 24]. În majoritatea cazurilor de MM (28%) se observă un aspect normal al măduvei osoase, cu hipersemnal T1 omogen al acesteia; în cazul infiltrarii, focale se observă diverse leziuni focale T1 hipointense, care pot apărea oriunde la nivelul scheletului; în cazul infiltrării difuze, se observă hiposemnal T1 difuz la nivelul intregii măduve osoase, uneori în caz de infiltrare severă, semnalul fiind chiar mai redus decât cel al discului intervertebral. În doar 3% din cazuri se observă un model de tip „sare și piper” și în 11% din cazuri se poate observa un model mixt de infiltrare nodulară și difuză [22, 25]

Concluzie

Imagistica prin rezonanță magnetică (IRM) și, în special, imagistica întregului corp (Whole-Body IRM) au devenit instrumente esențiale în managementul mielomului multiplu (MM). Aceste tehnici oferă o sensibilitate ridicată în detectarea infiltrării măduvei osoase, care este caracteristică MM-ului, și permit evaluarea leziunilor extraosoase înainte de apariția distrucției osoase. În plus, prin utilizarea secvențelor funcționale, cum ar fi ponderația DWI (Diffusion Weighted Imaging), WB-IRM poate oferi informații suplimentare despre densitatea celulară și răspunsul la tratament.Prin implementarea protocolului de examinare în MM, care include atât secvențe morfologice convenționale, cât și secvențe funcționale, IRM-ul oferă o perspectivă detaliată asupra infiltrării măduvei osoase și a leziunilor extraosoase în MM. Acest lucru ajută la diagnosticarea timpurie și precisă a bolii, la evaluarea extensiei sale și la monitorizarea răspunsului la tratament.

Tipuri de afectare medulară în mielomul multiplu: aspect normal imagistic(a), infiltrare focală(b), infiltrare difuză(c) infiltrare de tip ‘sare și piper’, infiltrare mixtă de tip focal și difuz(d). Departamentul de Radiologie al Spitalului Clinic Municipal de Urgență - Timișoara/RO

Bibliografie:

1. Kyle RA, Rajkumar SV. Multiple myeloma. Blood. 2008;111(6):2962-72.

2. Fonseca R, Jain T. Bone Disease in Myeloma: The Claws of CRAB. Clin Cancer Res. 2016;22(6):1301-3.

3. Dimopoulos MA, Hillengass J, Usmani S, Zamagni E, Lentzsch S, Davies FE, et al. Role of magnetic resonance imaging in the management of patients with multiple myeloma: a consensus statement. J Clin Oncol. 2015;33(6):657-64.

4. Schjesvold F. Evolution of diagnostic workup and treatment for multiple myeloma 2013-2019. Eur J Haematol. 2020;105(4):434-48.

5. Juneja R, Pati H, Gupta G, Mahapatra M, Tyagi S, Saxena R. Diagnostic workup of multiple myeloma in resource-constrained setting: is addition of costly test to baseline profile necessary? The Egyptian Journal of Haematology. 2021;46(3):181-4.

6. Hillengass J, Usmani S, Rajkumar SV, Durie BGM, Mateos MV, Lonial S, et al. International myeloma working group consensus recommendations on imaging in monoclonal plasma cell disorders. Lancet Oncol. 2019;20(6):e302-e12.

7. Summers P, Saia G, Colombo A, Pricolo P, Zugni F, Alessi S, et al. Whole-body magnetic resonance imaging: technique, guidelines and key applications. Ecancermedicalscience. 2021;15:1164.

8. Le Bihan D, Breton E, Lallemand D, Grenier P, Cabanis E, Laval-Jeantet M. MR imaging of intravoxel incoherent motions: application to diffusion and perfusion in neurologic disorders. Radiology. 1986;161(2):401-7.

9. Padhani AR, Liu G, Koh DM, Chenevert TL, Thoeny HC, Takahara T, et al. Diffusion-weighted magnetic resonance imaging as a cancer biomarker: consensus and recommendations. Neoplasia. 2009;11(2):102-25.

10. Katscher U, Börnert P, Leussler C, van den Brink JS. Transmit SENSE. Magn Reson Med. 2003;49(1):144-50.

11. Padhani AR, Lecouvet FE, Tunariu N, Koh DM, De Keyzer F, Collins DJ, et al. METastasis Reporting and Data System for Prostate Cancer: Practical Guidelines for Acquisition, Interpretation, and Reporting of Whole-body Magnetic Resonance Imaging-based Evaluations of Multiorgan Involvement in Advanced Prostate Cancer. Eur Urol. 2017;71(1):81-92.

12. Winfield JM, Blackledge MD, Tunariu N, Koh DM, Messiou C. Whole-body MRI: a practical guide for imaging patients with malignant bone disease. Clin Radiol. 2021;76(10):715-27.

13. Silva JR, Jr., Hayashi D, Yonenaga T, Fukuda K, Genant HK, Lin C, et al. MRI of bone marrow abnormalities in hematological malignancies. Diagn Interv Radiol. 2013;19(5):393-9.

14. Shah LM, Hanrahan CJ. MRI of spinal bone marrow: part I, techniques and normal age-related appearances. AJR Am J Roentgenol. 2011;197(6):1298-308.

15. Sun M, Cheng J, Ren C, Zhang Y, Li Y, Wang L, et al. Evaluation of Diffuse Bone Marrow Infiltration Pattern in Monoclonal Plasma Cell Diseases by Quantitative Whole-body Magnetic Resonance Imaging. Acad Radiol. 2022;29(4):490-500.

16. Padhani AR, van Ree K, Collins DJ, D’Sa S, Makris A. Assessing the relation between bone marrow signal intensity and apparent diffusion coefficient in diffusion-weighted MRI. AJR Am J Roentgenol. 2013;200(1):163-70.

17. Khoo MM, Tyler PA, Saifuddin A, Padhani AR. Diffusion-weighted imaging (DWI) in musculoskeletal MRI: a critical review. Skeletal Radiol. 2011;40(6):665-81.

18. Padhani AR, Koh DM, Collins DJ. Whole-body diffusion-weighted MR imaging in cancer: current status and research directions. Radiology. 2011;261(3):700-18.

19. Dutoit JC, Vanderkerken MA, Anthonissen J, Dochy F, Verstraete KL. The diagnostic value of SE MRI and DWI of the spine in patients with monoclonal gammopathy of undetermined significance, smouldering myeloma and multiple myeloma. Eur Radiol. 2014;24(11):2754-65.

20. Collins CD. Multiple myeloma. Cancer Imaging. 2004;4 Spec No A(Spec No A):S47-53.

21. Baur-Melnyk A, Buhmann S, Dürr HR, Reiser M. Role of MRI for the diagnosis and prognosis of multiple myeloma. Eur J Radiol. 2005;55(1):56-63.

22. Costachescu D, Ionita H. The importance of bone marrow infiltration patterns in multiple myeloma seen on magnetic resonance imaging—Case report and imaging perspective. Clinical Case Reports. 2022;10(10):e6452.

23. Stäbler A, Baur A, Bartl R, Munker R, Lamerz R, Reiser MF. Contrast enhancement and quantitative signal analysis in MR imaging of multiple myeloma: assessment of focal and diffuse growth patterns in marrow correlated with biopsies and survival rates. AJR Am J Roentgenol. 1996;167(4):1029-36.

24. Ji X, Huang W, Dong H, Shen Z, Zheng M, Zou D, et al. Evaluation of bone marrow infiltration in multiple myeloma using whole-body diffusion-weighted imaging and T1-weighted water-fat separation Dixon. Quant Imaging Med Surg. 2021;11(2):641-51.

25. Dutoit JC, Verstraete KL. MRI in multiple myeloma: a pictorial review of diagnostic and post-treatment findings. Insights Imaging. 2016;7(4):553-69.

Tehnici intervenționale de tratament în carcinomul hepatocelular

Interventional treatment techniques in hepatocellular carcinoma

Abstract: Hepatocellular carcinoma (HCC) is the 6-th most frecquent cancer and the 3-rd cause of death by malign diseases in the world. The article describes the interventional procedures used in the treatment of HCC, both endovascular and non-vascular therapies, like selective chemoembolization, radioembolization, RFA/MWA-ablation.

Carcinomul hepatocelular reprezintă reprezintă a 6-a cea mai frecventă formă de cancer si a treia cauză de deces dintre tumorile maligne la nivel mondial, fiind situat pe locul doi ca și rapiditate a progresiei în Statele Unite.

Incidența cancerului hepatic este heterogenă, din cauza prevalenței variabile a factorilor de risc; este estimat că 72% dintre cazuri apar în Asia (din care peste 50% în China), 10% în Europa, 7.8% în Africa, 5.1% în America de Nord, 4.6% în America Latină, 0.5% în Oceania. Majoritatea pacienţilor cu hepatocarcinom prezintă o patologie hepatică preexistentă cum ar fi ciroza hepatica, datorată infecţiei cronice cu virusurile hepatitice B și C, ciroza alcoolică sau steatohepatita non-alcoolică. De asemenea, printre comorbiditățile asociate menționez diabetul, anemia, splenomegalia, trombocitopenie și tromboza totală/parțială de ram portal, dar cu trunchiul venei porte permeabil.

Abordarea pacientului cu patologie tumorală hepatică neoplazică poate fi fundamentată prin:

• asigurarea unei evaluări corecte pre-operatorii materializate prin diagnostic corect, complet și precoce, clinic și paraclinic, în special imagistic

- aici imagistica dianostică are un rol esențial!

• asigurarea unui raport eficient risc/beneficiu în implementarea principiilor de management medical, endovascular și/sau chirurgical al leziunilor detectate Rezecţia chirugicală a fost pentru multă vreme considerată singura metodă de tratament capabilă să prelungească supravieţuirea pacienţilor cu tumori hepatice primare și secundare. Totuși, mulţi pacienţi nu se încadrează la tratamentul chirurgical datorită poziţiei și/sau distribuţiei tumorilor. În ultimii 20 ani rolul terapiilor loco-regionale sub ghidaj imagistic a crescut foarte mult, în managementul tumorilor hepatice. Aceste terapii includ câteva tehnici de abord percutan sau de cateterizare (super)selectivă cu microcateter.

Este de mult timp cunoscut faptul că oprirea fluxului sangvin în artera hepatică influenţează evoluţia cancerului hepatic. În 1966 a fost raportat un caz de metastaze hepatice care s-au necrotizat datorită ligaturii accidentale a arterei hepatice. Deasemenea, a mai fost raportat un caz de hepatom care s-a necrozat datorită lezării intimei în timpul cateterizării angiografice diagnostice. Necroza intratumorală poate fi evidențiată imagistic, ecografic, CT, sau IRM și se datorează faptului că ficatul primește sânge predominant din vena portă, pe când hepatoamele multicentrice primesc vascularizație numai din artera hepatică. Există mai multe procedee, vasculare sau non-vasculare, de tratament intervențional în hepatocarcinom: chemoembolizarea convențională,chemoembolizarea

cu microsfere, radioembolizarea, ablația prin radiofrecvență sau cu microunde, crioablația, alcoolizarea sau implantarea de rezervor subcutan pentru infuzia intraarterială de citostatice intrahepatic.

• Chemoembolizarea convențională (TACE) combină un chimioterapic, de regula același ca în intervenția precedentă, cu Lipiodol ultrafluid (concentrație iod 480 mg/ml) si constă în introducerea unui cateter în artera hepatică proprie sau într-o arteră mai periferică urmată de infuzia unui agent antineoplazic și de material embolic. Datorită faptului că TACE este angiografie aplicată, tehnica cateterismului joacă un rol important și chiar un operator experimentat poate uneori să nu reusească.

• Deși oarecum “eclipsată” de către chemoembolizarea cu microsfere absorbabile, apărută în ultimul deceniu și preferată de către majoritatea intervenţioniștilor din Europa, chemoembolizarea clasică (Lipiodol-TACE) își păstrează

Conf .Univ. Dr. Bogdan Popa
UMF „Carol Davila“, București, Președintele S.N.R.I.R.

Pulbere pentru soluție orală

Macrogol 3350, Ascorbat de sodiu, Sulfat de sodiu anhidru, Acid ascorbic, Clorură de sodiu și clorură de potasiu

În curățarea intestinului de înaltă calitate,

Pulbere pentru soluție orală

Macrogol 3350, Ascorbat de sodiu, Sulfat de sodiu anhidru, Acid ascorbic, Clorură de sodiu și clorură de potasiu

face diferența.1

Curățarea de înaltă calitate a colonului trebuie să fi e o prioritate pentru ca pacienții să benefi cieze de o prevenție îmbunătățită a CRC. 2

PLENVU® primul produs de 1 Litru pentru pregătirea colonului pe bază de PEG3

PLENVU® îmbunătățește efi cacitatea curățării colonului cu cel mai mic volum total 4 de administrare

Referințe: 1. Hassan C, et al. Endosc Int Open. 2020;08:E928-E937. 2. CRC - cancer de colon colorectal. 3. PEG3 – preparate intestinale ce conțin polietilen

de rutină a intestinului - Saltzman et al. Gastrointestinal Endoscopy 2015; 81(4):781-795; 4. Volum total4 - este format din soluție reconstituită + lichid de hidratare

Acest material promoțional este destinat profesioniștilor din domeniul sănătății. Acest medicament se eliberează pe bază de prescripție medicală, PRF. Vă rugăm să consultați Rezumatul Caracteristicilor Produsului. Data revizuirii textului: Septembrie 2023. Profesioniștii din domeniul sănătății sunt rugați să raporteze orice reacție adversă suspectată contactând Agenția Națională a Medicamentului și a Dispozitivelor Medicale din România, Str. Aviator Sănătescu nr. 48, sector 1, Bucuresti 011478- RO, e-mail: adr@anm.ro sau reprezentanța locală a deținătorului autorizației de punere pe piață, Swixx Biopharma SRL la următoarele date de contact: e-mail medinfo.romania@swixxbiopharma.com; tel +40 371 530 850. Pentru aspecte legate de promovarea si distribuția medicamentului în România, vă rugăm să vă adresați reprezentantului local Swixx Biopharma SRL, tel. 0371 530 850, romania.info@swixxbiopharma.com

NORGINE și logo-ul panzei sunt marci înregistrate ale grupului de companii Norgine.

Biopharma S.R.L.,

eficienţa în tumorile nerezecabile, fără prezenţa trombozei de venă portă și încadrabile în clasa Child-Pugh A. Un factor important de prognostic îl reprezintă încărcarea intratumorală cu Lipiodol, de la prima cură de chemoembolizare. Curele următoare vor confirma eficienţa acestui tratament endovascular intrahepatic.Eficienta, însă, poate depinde în mare măsură și de o eventuală vascularizație a tumorii din ramuri colaterale!

• Pentru a putea fi considerat eficient, tratamentul HCC în stadii intermediare trebuie să conducă la o rată de supravieţuire de până la 3 ani cu 50% mai mare (3 ani fiind speranța de viață a pacienţilor cu HCC în stadiu intermediar dacă nu au beneficiat de tratament). [63]

• Chemoinfuzia intraarterială reprezintă o modalitate practică prin care se introduc substanțe chimioterapice direct în tumoră, prin vasul care le alimentează; procedura chirurgicală, mimin invazivă, presupune cateterizarea supraselectivă a “feeder-ului” tumoral și cuplarea acestuia la un mic rezervor tip port-a-cath implantat în zona inghinală (abordul Seldinger fiind femural). Implantarea rezervorului subcutan este indicată desigur în situaţii în care anatomia locală o permite; cel mai facil este pentru tumora unică (primitivă hepatică) cu vascularizaţie unică, cum se observă în figura de mai jos: • Chemoembolizarea cu microparticule absorbabile (DEBDOX) oferă un nivel de consistență și repetabilitate care nu sunt disponibile chemoembolizării convenţionale și oferă posibilitatea de a pune în aplicare o abordare standardizată pentru tratamentul HCC Acest tip de procedură presupune injectarea în interiorul tumorilor a unor microsfere absorbabile în timp, acestea fiind încărcate în prealabil cu o substanță chimioterapică, Doxorubicin sau derivați (Adriamicin, Idarubicin - studiu facut de Prof. Boris Guiu, Universitatea Montpellier - Farmarubicin,etc) în cazul pacienților cu carcinom hepatocellular. Injectarea microsferelor trebuie facută superselectiv, cât mai distal posibil, așa cum este ilustrat în figura de mai jos:

În ciuda faptului de necontestat că aplicarea chemoembolizării cu microsfere absorbabile (DEB-TACE) are mai

puține reactii adverse, fiind cunoscut că la 6 ore post- embolizare concentrația de chimioterapic în sângele periferic este zero, există în continuare o controversă legată de superioritatea chemoembolizării cu microsfere asupra celei convenționale (c-TACE), lucru relevat în mai multe studii.

Stabilirea indicaţiei tratamentului endovascular cu DEBDOX necesită o pre-evaluare CT (“triple-phase”) sau IRM cu contrast, coroborată cu manifestările clinice și a datelor de laborator (AFPdeterminare cantitativă folosită ulterior în dinamica pentru evaluare, follow-up). Fiecare flacon de microsfere va fi încărcat cu 50-75 mg de Doxorubicin (doza de încărcare 25-37,5 mg Doxorubicin/ ml de microsfere)

Pentru cazurile incluse în criteriile Milan, ca regulă generală, fiecare etapă de tratament ar trebui să includă o doză planificată de până la 75 mg Doxorubicin încărcat într-un flacon cu microsfere. Pentru cazurile în afara criteriilor Milan, ca regulă generală, fiecare etapă de tratament ar trebui să includă o doză planificată de până la 150 mg de Doxorubicin încărcat în două flacoane de microsfere.

• Radio-embolizarea (TARE) este o formă de radioterapie internă folosită în carcinomul hepato-celular. Este o procedură asemănătoare cu chemoembolizarea din punctul de vedere al tehnicii dar, în loc de microsfere absorbabile, se folosesc microsfere radioactive (Resin). Acestea conțin material radioactiv – Ytriu 90 – și sunt introduse în tumoră intraarterial, la fel că și în cazul DEBDOX sau TACE , având că efect necroza intratumorala [36]. Radionuclidul Yt90 emite radiații cu particule beta, care vor penetra țesutul până la o adâncime de aprox.11 mm; prin urmare, radiația internă vă fi localizată în principal în

tumora hepatică și nu va afecta hepatocitele normale.

• Ablaţia prin radiofrecvenţă (RFA) deschide grupa tratamentelor intervenționale non-vasculare minim invazive a tumorilor hepatice și constă în producerea unei necroze termice, coagulative, prin intermediul unui flux de curent electric alternativ, de frecvenţă înaltă; eficacitatea procedurii este însă afectată de volumul tumoral, iar criteriile de incluziune sunt destul de limitative.

Leziunea ideală pentru tratamentul prin radiofrecvență are diametrul sub 3 cm și este situată la distanță de capsula hepaticã, pediculi portali sau vene hepatice [84]

O zonă de ablație suficientă pentru un tratament curativ fară riscuri semnificative se poate obține în cazul nodulilor <5 cm (cu minim 2 aplicații) și a maxim 4 noduli <3 cm.

Tumorile din apropierea structurilor vitale reclamă multă atenţie! Ablaţia tumorilor adiacente diafragmului, capsulei hepatice, vezicii biliare și vaselor portale produce durere importantă în timpul procedurii și după procedură, în comparaţie cu ablaţia tumorilor situate în plin parenchim hepatic.

• Ablația tumorală hepatică cu microunde (MWA) utilizează căldura din energia microundelor pentru a distruge celulele canceroase hepatice. Pentru a realiza procedura, este introdus pe cale percutană un ac în tumora hepatică, sub ghidaj imagistic, ecografic sau CT. Se știe că celulele maligne sunt mai sensibile la leziunile prin hipertermie decât celulele normale , ca urmare creșterea temperaturii intatumorale prin curentii MWA vor distruge tumora.

• Crioablația tumorilor hepatice este o tehnică ablativă minim invazivă care are ca rol distrugerea tumorii maligne prin înghețare.

In timpul procedurii se folosește o criosondă pentru aplicarea gazului (azot lichid, protoxid de azot lichid și argon) comprimat la o temperatură cuprinsă între -30 și -75 de grade Celsius. Radiologul intervenționist abordează zona tumorală care trebuie distrusă cu vârful aplicatorului. Această înghețare poate dura câteva secunde sau câteva minute și poate fi, de asemenea, repetată în funcție de cât timp este necesar pentru înghețarea și distrugerea celulelor tumorale.

Acest material promoţional este destinat profesioniştilor din domeniul sănătăţii. Pentru informaţii suplimentare vă rugăm să consultaţi Rezumatul caracteristicilor produsului complet. Medicament eliberat pe bază de prescripţie medicală-PRF Administrare orală. Profesioniștii din domeniul sănătăţii sunt rugaţi să rapor teze orice reacţie adversă suspectată sau reclamaţie cu privire la acest medicament la adresa de e -mail: Drugsafety.alfasigma@addenda.ro sau la Agenţia Naţională a Medicamentului și a Dispozitivelor Medicale din România https://adr.anm.ro/ DAPP Alfasigma S.p.A.

Alfasigma România S.R.L. str. Cluceru Udricani, nr. 18, parter și etaj 1, sector 3, București tel.: 031.805.35.26, 031.805.35.27; fax: 031.805.35.28. e-mail: info.ro@alfasigma.com

Crioablaţia are două avantaje faţă de rezecţia chirurgicală: este aplicabilă tumorilor indiferent de număr și de localizare și are drept rezultat morbidități și mortalități relativ scăzute comparativ cu chirurgia. Prognosticul pacienţilor supuși crioablaţiei este similar cu cel al chirurgiei [70]

• Alcoolizarea percutană a devenit o importantă terapie de ablaţie a tumorilor mici din hepatocarcinom pentru că este minim invazivă și simplă. Rezultatele pe termen lung ale alcoolizărilor pentru tumorile mici din hepatocarcinom au fost raportate ca fiind asemănătoare cu rezultatele obţinute după rezecţie chirurgicală. În orice caz, alcoolizarea are câteva dezavantaje: necesitatea unui mare număr de ședinţe de tratament și nesiguranţa ablaţiei tumorale datorită distribuţiei neomogene a etanolului injectat intratumoral. Spre deosebire de IPE, ARF are o serie de avantaje cum ar fi: număr mai mic de ședinţe de tratament și răspuns bun al tumorii la ablaţie dat de faptul că într-o singură ședinţă de tratament se produce o zonă de necroză de până la 3 cm [72] .

Bibliografie

• Davis GL, Alter MJ, El-Serag H et al (2010) Aging of the hepatitis C virus (HCV)-infected persons in the United States: a multiple cohort model of HCV prevalence and disease progression. Gastroenterology 138:513–521

• Bruix J, Sherman M (2005) Management of hepatocellular carcinoma. Hepatology 42:1208–1236

• T.Kawaoka,H.Aikata,S.Takaki et al-Transarterial Infusion Chemotherapy using Cisplatin-Lipiodol suspension with or without embolization for unresectable hepatocellular carcinoma.Cardiovasc Intervent Radiol(2009) 32:687-694

• Lei Zhang, Jun-Hui Sun, Jian-Song Ji, et al -Imaging Changes and Clinical Complications After Drug-Eluting Beads Versus Conventional Transarterial Chemoembolization for Unresectable Hepatocellular Carcinoma: Multicenter Study. American Jour Roentgenol 2021 ;217(4):933-943

• Tan-Yang Zhou, Guo-Fang Tao, Guan-Hui Zhou, et al- Comparison of drug-eluting bead with conventional transcatheter arterial chemoembolization for hepatocellular carcinoma with portal vein tumor thrombus: A randomized clinical trial. International Journal of Surgery 2024 ; 201; 566-570

• Philipp Schindler, Daniel Kaldewey, Florian Rennebaum et al-f. Safety, efficacy, and survival of different transarterial chemoembolization techniques in the management of unresectable hepatocellular carcinoma: a comparative single-center analysis. J

Cancer Res Clin Oncol 2024 ;150(5):235.

• Wenzhe Fan, Xinlin Zheng, Xiao Zhao, Bowen Zhuet al-. DEB-TACE versus cTACE for unresectable HCC with B1-type bile duct invasion after successful biliary drainage: A propensity score matching analysis. Cancer Med 2024 ; 13(13)

• Vilgrain V, Pereira H, Assenat E, Guiu B, Ilonca AD, Pageaux GP et al- SARAH Trial Group. Efficacy and safety of selective internal radiotherapy with yttrium-90 resin microspheres compared with sorafenib in locally advanced and inoperable hepatocellular carcinoma (SARAH): an open-label randomised controlled phase 3 trial.Lancet Oncol. 2017 (12):1624-1636

• Abdel-Rahman O, Elsayed Z. Yttrium-90 microsphere radioembolisation for unresectable hepatocellular carcinoma.Cochrane Database Syst Rev. 2020;1(1):CD011313.

• Memon K, Lewandowski RJ, Riaz A, Salem R.Yttrium 90 microspheres for the treatment of hepatocellular carcinoma.Recent Results Cancer Res. 2013;190:207-24.

• Cheng BQ, Jia CQ, Liu CT et al (2008) Chemoembolization combined with radiofrequency ablation for patients with hepatocellular carcinoma larger than 3 cm. JAMA 299:1669–1677

• Liapi E, Geschwind JFH (2007) Transcatheter and ablative therapeutic approaches for solid malignancies. J Clin Oncol 25:978–986

• Llovet JM, Bruix J (2003) Systematic review of randomized trials for unresectable hepatocellular carcinoma: chemoembolization improves survival. Hepatology 37:429–442

• Davis GL, Alter MJ, El-Serag H et al (2010) Aging of the hepatitis C virus (HCV)-infected persons in the United States: a multiple cohort model of HCV prevalence and disease progression. Gastroenterology 138:513–521

• Olnes MJ, Erlich R (2004) A review and update on cholangiocarcinoma. Oncology 66:167–179

• Julien Delicque, Boris Guiu, Mathieu Boulin, Heidi Schwanz, Lauranne Piron, Christophe Cassinotto. Liver chemoembolization of hepatocellular carcinoma using TANDEM microspheres.Future Oncol. (2018) 14(26), 2761–2772

• Monier A, Guiu B, Duran R et al. Liver and biliary damages following transarterial chemoembolization of hepatocellular carcinoma: comparison between drug-eluting beads and Lipiodol emulsion. Eur. Radiol. 27(4), 1431–1439 (2017).

• Kyoung Doo Song.Percutaneous cryoablation for hepatocellular carcinoma. Clin Mol Hepatol. 2016 Dec; 22(4): 509–515.

• Tateishi R, Shiina S, Teratani T et al., Percutaneous radiofrequency ablation for hepatocellular carcinoma: an analysis of 1000 cases. Cancer 2005, 103(6):1201–1209

• McGlynn KA, Petrick JL, El-Serag HB. Epidemiology of Hepatocellular Carcinoma Hepatology. 2021 Jan;73 Suppl 1(Suppl 1):4-13.

• Fattovich G, Stroffolini T, Zagni I, Donato F. Hepatocellular carcinoma in cirrhosis: incidence and risk factors Gastroenterology. 2004 Nov;127(5 Suppl 1):S35-50

Disecția de arteră carotidă internăce trebuie să știe medicul radiolog?

Internal carotid artery dissection - what does the radiology doctor need to know?

Abstract: Aim of the study The aim of the study is to showcase the importance of the CT an MRI examination in the correct diagnosis of internal carotid artery in young patients and how pleomorphic this pathology can be in the clinical setting. Because it mostly occur in the cervical segment, before entering the intracranial segment, the lesion is sometimes missed (few slices are made below the skull base in a standard brain scan).

DProf Univ. Dr. Danisia Haba

UMF „Grigore T. Popa“ Iași, Spitalul Clinic de Urgență „Prof. Dr. Nicolae Oblu”

Dr. Alexandra-Elena Chichirău

UMF „Grigore T. Popa“ Iași, Spitalul Clinic de Urgență „Prof. Dr. Nicolae Oblu”

Dr. Diana-Andreea Ilinca

UMF „Grigore T. Popa“ Iași, Spitalul Clinic de Urgență „Prof. Dr. Nicolae Oblu”

isecția de artera carotida internă (ACI) este o entitate rară, care determină accident vascular cerebral în particular în cazul pacienților tineri, reprezentând până la 25% dintre acestea. Incidența actuală este estimată la 2,6-3/100.000, dar incidența anuală ar putea fi mai mare din pricina multiplelor cazuri asimptomatice.

Dincolo de evenimentele ischemice, disecția de ACI poate cauza diferite complicații imediate, de la cefalee, torticolis, neuropatii craniene, sindrom Horner, tinitus pulsatil sau complicații pe termen lung de tipul formării de pseudoanevrisme. În literatură a fost descrisă triada clinică manifestată prin cefalee sau durere la nivelul regiunii cervicale unilaterală,

Protocol de diagnosticare imagistică

Figura 1. Ilustrație schematică simplificată a procesului fiziopatologic al disecție de ACI. Începând cu stadiu acut, leziunea se poate remite spontan (1), poate forma un lumen fals (2), poate duce la stenoză reziduală de diferite inclusiv până la ocluzie completa (3) sau formare de pseudoanevrism (4). Introducerea de stent poate fi utilizată ca metodă de tratament în cazul pacienților refractari la tratament, pentru tratarea unei stenoze semnificative hemodinamic sau pentru ocluzia unui lumen fals. De asemenea, stent-ul poate fi folosit pentru a facilita embolizarea de spirale („coils“) în cazul pseudoanevrismelor cu colet larg.

acompaniată de sindrom Horner parțial, urmat în decurs de ore sau zile de ischemie cerebrală sau retineană (amauroza fugace). Cu toatea acestea triada clinică este prezentă la mai puțin de o treime din totalul pacienților, dar asocierea de minim două manifestări este înalt sugestivă pentru diagnosticul de disecție de ACI.

Fiziopatologie:

Disecția de ACI este rezultatul unei rupturi la nivelul intimei, sau a rupturilor vasa vasorum cu sângerare la nivelul mediei, ambele mecanisme având ca rezultat disecția longitudinală a mediei și formarea unui lumen fals. (Figura 1). Hematomul astfel format se poate extinde spre adventice ducând la disecție subadventicială însoțită de formare de pseudoanevrism, sau spre intimă (subintimală) cu

îngustarea sau stenoza completă a lumenului adevărat. Etiologiei rupturii spontane este multifactorială, iar fragilitatea peretelui arterial este mai posibilă la pacienții ce asociază anevrisme intracraniene, anevrism de bază de aortă, ce ar putea sugera prezența de vasculopatii la acești pacienți. În literatură se evidențiază asemănări între adventicea și media arterelor temporale și cea a arterelor carotide interne, cu prezența în rare cazuri de pulsații la nivelul arterei temporale ca unică manifestare a disecției de ACI. În cazul pacienților cu fragilitate a peretelui arterial, biopsiile tegumentare au arătat o modificare a morfologiei matricei extracelulare sugestive pentru patologie de țesut conjunctiv (posibil necunoscută la momentul disecției) de tip sindrom Ehlers-Danlos, sindrom Marfan (1-5%) sau diplazia fibromusculară (15%). Di-

Revascularization device

Portfolio

Figura 2. Examinare CT nativă - la nivelul segmentului cervical ACI stânga se constată o imagine hiperdensă spontan în formă de “semilună” ce reprezintă hematomul intramural în stadiu acut.

secția de ACI poate fi de asemenea rezultatul factorilor extrinseci: manipulărilor cervicale, a traumatismelor cervicale (penetrante sau nepenetrante: de tipul hiperextensiei) sau intrinseci: sindrom Eagle, hipertensiune (53%), infecție recentă, diabet, fumat, hiperlipidemie sau utilizare de anticoncepționale orale. Cauzalitatea disecției de ACI este vastă și trebuie integrată în context clinic pentru un diagnostic corespunzător și pentru identificarea factorilor predispozanți.

Examinarea

computer-tomografică

Prima linie de diagnostic imagistic o reprezintă examinarea computer-tomografică (CT) datorită disponibilității largi și a timpului scurt de achizitie. De cele mai multe ori examenul CT fara administrea de substanta de contrast nu oferă informații utile, putand însă demonstra aria de ischemie cerebrală, cu prezenta unui hematom mural la nivelul jumătății proximale a ACI sub forma unei zone în forma de “semiluna” hiperatenuantă (Figura2).

Investigațiile continuă cu examenul angiografic de trunchiuri supraaortice, examen cu o acuratețe ridicată care a devenit rapid standardul de diagnostic în cadrul direcțiilor de artere carotide interne. Folosind substanța de contrast iodată care să evidențieze vasele supraaortice și pana la nivelul celor care formează poligonul lui WIllis, cu reconstrucții 2D și 3D a imaginilor achizitionate, se evidentiaza ca

Figura 3. Examinarea CTA care pune in evidenta ingustarea lumenului inconjurata de ingorsarea murala de tip trombus, in forma de “semiluna”.

markeri imagistici de diagnostic pentru o disecție de artera carotidă internă:

• un calibru dilatat al arterei, un contur anormal;

• imaginea tipică care sugerează disecția este reprezentată de un lumen îngustat excentric, înconjurat de o îngrosare murală de tip trombus moale, în forma de “semilună” și fină priză de contrast inelara; (Figura 3)

• alte semne sunt ilustrate de observarea faldului de disecție sau prezența unui anevrism disecant.

Imagistica prin rezonanță magnetică

Examinarea prin rezonanță magnetică poate demonstra disecția de artera carotidă internă atât prin achiziții native, dar în special prin cele post-adminstrare de contrast, folosind un protocol ce dispune ce dispune de secvente ponderate T1, T2/FLAIR, DWI, cu accent pe secvența TOF, secvența frecvent folosită pentru a caracteriza vasele intra și extracraniene.

Figura 4. Secvența T2 (IRM) pune în evidenta flow-void îngustat excentric înconjurat de o zona în hipersemnal în “semilună”, determinând în ansamblu dilatarea calibrului vascular.

Diagnosticul de disecție de arteră carotidă internă presupune evidențierea flow-void-ului îngustat excentric înconjurat de o zona în hipersemnal în “semiluna”, determinând în ansamblu dilatarea calibrului vascular la nivelul respectiv.

Cu toate acestea, semnalul flow-voidului nu reprezintă un marker diagnostic de acurate, întrucat poate fi întalnit în diverse alte afecțiuni vasculare.

Diagnosticul depinde de asemenea și de caracteristicile hematomului intramural, care apare din punct de vedere imagistic conform evoluției produșilor de degradare ai hemoglobinei. Așadar, într-un stadiu acut (24-48 ore) diagnosticul disecției poate fi omis sau greu confirmat prin dificultatea vizualizării hematomul intramural, care poate apărea în izosemnal T1FS până la aproximativ 7 zile după apariția tabloului clinic. Câteva studii au sugerat, în aceste cazuri, avantajului examinării coeficientului de difuzie (DWI), care poate aduce o valoare adițională de diagnostic, prin vizualizarea unui hipersemnal intens DWI la nivelul arterei disecante. Totodată, secvența DWI poate

Figura 5. Hipersemnal FLAIR periferic de-a lungul arterei carotide interne vizibile în plan sagital, axial și coronal, reprezentând hematomul intramural de la acest nivel.

GCC – Partener exclusiv autorizat VISARIS pentru Grafie Digitală Fixă în România și Republica Moldova

VISION V

Design Flexibil pentru Rezultate Optime

• Sistem modular cu raze X cu configurație standard (suport de tub montat pe podea, suport bucky vertical și masă bucky)

• Design conceput pentru o gamă largă de servicii de imagistică radiografică generală și specializată în configurații standard, numai toracic, numai masă sau cameră de urgență (masă mobilă)

• Pentru eficiență, consola de sistem permite setarea de la distanță a generatorului, colimatorului și listei de lucru

Performanță Ridicată la un Preț Corect

• Gamă extinsă de fluxuri de lucru, siguranță avansată și funcții de poziționare • Urmărire motorizată a detectorului vertical și orizontal • Camere AEC cu 5 câmpuri • Comenzi de colimare motorizate pe suportul vertical • Partajare ușoară a detectoarelor cu camera mobilă sau alte camere DR • Reglare automată a expunerii cu SID și grilă (care pot fi modificate) • Configurații detector flexibil: fix, portabil, wireless

Modul Stitching pentru Imagini Anatomice Lungi

• Vizualizare imagini anatomice lungi ce permit măsurători mult mai mari decât aria activă a detectorului cu panou plat • Posibilitate obținere imagine completă coloană vertebrală din 3 expuneri • Stitching motorizat de până la 4 imagini (150 cm de acoperire a pacientului)

GCC – Partener exclusiv autorizat LANMAGE pentru Grafie Digitală Mobilă în România și Republica Moldova

AKSO PREMIUM Suplu & Ușor Manevrabil

• Dimensiunile cele mai reduse de pe piață (l 54 cm, h 135 cm), pentru poziționare flexibilă și vizibilitate optimă

• Amplificarea electrică a mișcării, pentru deplasarea ușoară a unității cu o singură mână

• Tub cu design special, pentru manevrabilitate maximă, rotirea sistemului și accesul în orice poziție

• Deblocare cu o singură mână și o singură cheie, pentru funcționare simultană pe 5 axe, acoperire completă de 360° și suspendare la înălțimea dorită • Înclinare maximă la 12° Robust & Autonom

• Cu alimentare de la rețea sau de la bateria încorporată (1 an timp de stocare a energiei)

• Baterie cu mod super-fast charge de 3 ore • Autonomie 100 km

• Minim 1200 expuneri la fiecare încărcare a bateriei (radiografie standard torace adult) Inteligent & Versatil

• Transmisie date wireless 5G • 4 moduri de expunere cu control manual, prin telecomandă, cu temporizator sau de la consolă • Control de până la maxim 15 m fără obstrucționarea semnalului prin pereți • Frână automată la detectarea unui obstacol iminent • Opțional, suport pentru radiografie toracică și pat mobil imagini • DAP system

GCC – Partener exclusiv autorizat SWISSRAY pentru Service și Distribuție în România și Republica Moldova

Mentenanță optimă pentru echipamente radiologice de înaltă clasă Asigurăm servicii specializate și autorizate de reparații, mentenanță, intervenții la cerere și întreținere preventivă pentru sistemele radiologice SWISSRAY instalate în orice unitate medicală din România sau Republica Moldova.

Concepute cu precizie, servisate cu mare grijă Înțelegem importanța funcționării optime a echipamentelor SWISSRAY care sunt esențiale pentru siguranța pacienților și a utilizatorilor. O întreținere regulată și profesionistă este crucială pentru a asigura rezultate radiologice precise și un diagnostic corect.

Când pacientul este pe primul loc, Timpul Contează Echipa noastră de experți garantează răspuns prompt și soluționare rapidă oriunde în România sau Republica Moldova, folosind piese originale și tehnici avansate, astfel încât echipamentele dumneavoastră radiologice SWISSRAY să funcționeze la parametri maximi în mod continuu.

Alegându-ne pe noi, alegeți siguranța, eficiența și excelența în domeniul radiologiei Noi ne focalizăm experiența pe funcționarea optimă a echipamentelor radiologice SWISSRAY, pentru ca dumneavoastră să vă puteți focaliza expertiza pe ceea ce contează cel mai mult – sănătatea pacientului.

GREENBERG & COHEN CONSULT: www.greeenberg.ro Str. Giuseppe Garibaldi nr. 8-10, Bucureşti, Telefon 021-4116063, Email office@greenberg.ro

oferi informații suplimentare în identificarea hemoragiei plăcilor carotidiene și ar putea face posibilă diferențierea între hematomul intramural și hemoragia din cadrul plăcii.

Hematomul mural poate fi demonstrat suplimentar și în urma examinării TOF, întrucât tehnica nu permite supresia completă a țesutului restant cu valori T1 reduse. În cazul suspiciunii unei disecții utile sunt și reconstrucțiile MIP (proiecții de intensitate maximă).

Angiografia seldinger

Angiografia Seldinger nu reprezintă mereu o unealtă foarte sugestivă de diagnostic pozitiv, întrucât atât grosimea cât și configurația peretelui arterial sunt dificil de apreciat. Cu toate acestea, această modalitate de investigație rămâne în viziunea majorității un gold standard de diagnostic. În rândul semnelor care confirmă prezența de disecție de arteră carotidă internă se numără:

a. semn “string” (figura 7) ce reprezintă stenoza neregulară, longilină, cel mai frecvent excentrică, ce apare la distanță de bulbul carotidian.

b. semnul “string and pearl” se referă la îngustarea focală cu o zonă distală de dilatație.

c. formarea unui pseudoanevrism (figura 8).

Semne caracteristice precum lumenul dublu sau faldul intimal de disecție sunt rar observabile prin intermediul acestei modalități.

Pacienții cu disecție de arteră carotidă internă tind să aibă un prognostic favorabil. Infarctul cerebral, care apare la aproximativ 70% dintre pacienți, reprezintă cel mai important prognostic de evoluție nefavorabilă. Accidentul vascular cerebral asociat disecției de arteră carotidă apare de obicei în primele 2 săptămâni după disecție, iar riscul de accident vascular cerebral scade dramatic după acest punct, riscul de accident vascular cerebral recurent din cauza disecției este mai mic de 3%.

În general, pacienții prezintă rezoluția și vindecarea vasului implicat la aproximativ 6

luni după diagnostic, în cadrul examinărilor imagistice de urmărire. Deși vasul disecat are, de obicei, o recanalizare completă, poate persista o stenoză reziduală sau ocluzii. Chiar și în cazul celor care nu se recanalizează, riscul de recurență a accidentului vascular cerebral rămâne foarte scăzut.

Una dintre complicațiile este reprezentată de dezvoltarea unui pseudoanevrism care tinde să persiste în timp, riscul de ruptură fiind de aproximativ 1%. Aceasta complicație apare de obicei la nivelul vaselor intracraniene care nu prezintă o tunică elastică externă, provocând hemoragie subarahnoidiană cu o rată relativ ridicată de mortalitate. Deși disectia

de artera carotidă tinde să apară o singură dată, aproximativ 7% dintre pacienți prezintă recurență a disecției la șapte ani de la diagnostic.

Diagnosticul diferențial al disecției de arteră carotidă internă trebuie făcut cu următoarele afecțiuni vasculare:

• displazia fibromusculară - implică de cele mai multe ori ambele artere carotidiene interne (~ 65%). Angiografia Seldinger evidențiază stenoza tubulara, multifocală cu dilatații adiacente, aspecte ce se întrunesc în semnul “string of beads”;

• web-ul carotidian, o formă atipică de displazie fibromusculară, ce apare sub forma unui fold intimal fibros care își are originea de la nivelul peretelui vascular posterior cu orientare spre anterior, în lumenul vascular.

• alte cauze de îngroșare a peretelui vascular arterial precum ateroscleroza, vasculite sau post-radioterapie.

Concluzii

Disecția de artera carotidă internă este o cauză frecventă de accident vascular cerebral la pacienții tineri și de vârstă mijlocie. Diagnosticul precis și prompt al disecției arterelor craniocervicale este crucial, deoarece terapia aplicată în timp util poate reduce semnificativ riscul de accident vascular cerebral și sechelele pe termen lung.

Investigațiile imagistice în frunte cu angiografia CT și imagistica prin RMN cu angiografie-RM sunt tehnici utile pentru diagnosticul acestei afecțiuni și favorizarea unui prognostic bun. Cunoașterea aspectelor radiologice ale disecției, dar și a eventualelor capcane legate de interpretarea imaginilor este importantă pentru obținerea unui diagnostic corect.

Figura 6. DWI b1000 - prezența de hipersemnal b1000 pe topografia hematomului mural
Figura 7. Semnul “string” cu stenoză neregulată la nivelul ACI.
Figura 8. Examinare angiografică - pseudoanevrism de artera carotidiana interna in cazul unei disecții cronice.

Limfomul mamar – o provocare diagnostic

Breast lymphoma – a challenging diagnosis

Abstract: Breast lymphoma is a rare tumor, with a prevalence of 0.04-0.7%, due to the limited lymphoid tissue in the breast. It can be primary or secondary, and both are difficult to diagnose due to non-specific imaging. A 68-year-old woman with liver cirrhosis and hepatosplenomegaly was found to have a breast nodule during a routine CT scan. After delays due to thrombocytopenia, a biopsy confirmed non-Hodgkin B-cell lymphoma. Despite declining treatment, the nodule regressed, though similar nodules later appeared. The case highlights the diagnostic challenges of breast lymphoma, as its imaging characteristics are non-specific and can mimic benign lesions. Multidisciplinary approaches and careful evaluation are crucial in managing such rare cases.

LMedic Specialist Radiologie și Imagistică Medicală, Laborator Radiologie, Imagistică Medicală și Radiologie Intervențională, Institutul Clinic Fundeni

Prof. Univ. Dr. Ioana G. Lupescu

Laborator Radiologie, Imagistică Medicală și Radiologie

Intervențională, Institutul Clinic Fundeni, UMF Carol Davila, București

Șef Lucrări

Dr. Mihai Lesaru

Laborator Radiologie, Imagistică Medicală și Radiologie

Intervențională, Institutul Clinic Fundeni, UMF Carol Davila, București

imfomul mamar reprezintă unul dintre cele mai rare neoplasme mamare, cu o prevalență de 0.04-0.7%, această prevalență joasă fiind legată de paucitatea țesutului limfoid de la nivelul sânului. Limfomul mamar poate fi primar sau secundar, cel din urmă fiind întâlnit mai frecvent în cazurile de importantă afectare sistemică. Ambele forme de limfom sunt greu de diagnosticat, având prezentări imagistice nespecifice. Semnele clinice clasice pentru cancerul mamar pot lipsi, însă pot fi prezente semnele B de limfom în cazul limfomului secundar (febră, scădere ponderală, transpirații nocturne).

Pentru a exemplifica provocarea diagnostică pe care o reprezintă limfomul mamar, am ales cazul unei paciente cu

admisii multiple pentru ciroză hepatică virală decompensată și hepatosplenomegalie.

Pacienta ZF, în vârstă de 68 de ani, cu antecedentele de mai sus, se prezintă în anul 2017 pentru o examinare CT în vederea evaluării cirozei hepatice. La acel moment, pacienta prezenta hepatosplenomegalie, adenopatii supra si subdiafragmatice multiple, motiv pentru care se efectuează o puncție medulară osoasă cu prezența de infiltrate plasmocitare. Pacienta primește recomandarea de biopsie ganglionară, pe care o refuză.

Interesant este că la examinările seriate între 2017-2019, afectarea hepatică si hepatoslenomegalia rămân constante, în timp ce adenopatiile cunoscute sunt în netă regresie numerică și dimensională, fără tratament hematologic (Fig. 1). Retrospectiv, prezența adenopatiilor mediastinale este pusă pe seama unei infecții pulmonare, în timp ce adenopatiile abdominale sunt considerate a fi secundare cirozei hepatice, ipoteza unei boli hematologice fiind trecută pe un plan secund.

Lucrurile se schimbă însă în 2019, când la examinarea CT de rutină pacienta asimptomatică, este depistată cu un nodul mamar stâng. Examinarea clinică nu identifică un corespondent palpator sau adenopatii superficiale. La examinarea ecografică, se identifică un nodul hipoecogen, cu contururi relativ regulate (Fig. 2). Examinarea mamografică confirmă pe incidența latero-medială, opacitatea cu un spicul anterior, cu caractere suspecte pentru neoplazie (săgeată) și un ganglion intramamar (steluță), încadrată imagistic BIRADS 5 (Fig. 3).

Se tentează biopsia din nodulul mamar, însă din cauza trombocitopeniei accentuate (30.000 trombocite), pacienta dezvoltă la injectarea anestezicului local un voluminos hematom acut, fapt pentru care se decide temporizarea biopsiei pana la normalizare hemoleucogramei. Din păcate, pacienta nu răspunde la tratamentul corticosteroid și plasmafereză, context în care se propune embolizarea polului inferior splenic pentru agumentarea trombocitelor. Embolizarea splenică

Dr. Miruna-Elena Ispas
Fig. 1
Evaluare CT 2017
Evaluare CT 2018
Fig. 2

3

4

pledând pentru limfom malign non Hodgkin cu celula B mica-medie (Fig. 5). Pacienta refuză tratamentul oncologic, supriza fiind că la reexaminarea CT la 6 luni, leziunea mamară biopsiată este în regresie, cu apariția însă de alți noduli mamari similari.

Imagistic, caracteristicile limfomului mamar sunt nespecifice. Mamografic, limfomul mamar se poate prezenta ca o opacitate ovalară sau rotundă, marginile spiculate caracteristice carcinomului ductal sunt rare, calcificările sunt aproape mereu absente, iar asimetriile si distorsiunile arhitecturale sunt foarte rare. Ecografic, limfomul arată pseudo-benign, prezentându-se de multe ori ca masă hipoecogenă de formă ovală, cu axul lung paralel cu tegumentul.

Particularitățile cazului prezentat, sunt atât clinice, cât și imagistice, iar provocările până la diagnosticare au implicat o abordare multidisciplinară. Cazul a vizat o pacientă cirotică fără antecedente heredocolaterale sau personale de cancer de sân și fără acuze de simptome B, ce este decelată CT cu un nodul mamar, încadrat ecografic și mamografic BIRADS 5 din cauza prezenței unui spicul. Pacienta are în antecedente o puncție medulară cu infiltrare plasmocitară, însă refuză o puncție ganglionară diagnostică, motiv pentru care se decide reevaluarea imagistică. La următorul CT, adenopatiile mediastinale și abdominale sunt în regresie. Drept urmare, la momentul efectuării puncției, ipoteza unei boli hematologice era foarte puțin probabilă. Biopsia nu este fără provocări , fiind vorba despre o leziune mică la o pacientă trombocitopenică cu un sân foarte voluminos, fiind nevoie de embolizare splenică pentru a crește numărul de trombocite în limita de siguranță. Rezultatul histopatologic este o surpriză, având în vedere raritatea cazurilor de limfom mamar, însă este de reținut că orice nodul mamar nou-apărut la o pacientă la menopauză, chiar dacă are un aspect pseudobenign, trebuie biopsiat.

5

decurge fără incidente, pacienta revenind la aproximativ 4 luni postembolizare, in iulie 2020, cu un număr total de trombocite de 100.000.

La reevaluarea imagistică, nodulul mamar este în creștere dimensională, fi-

ind însoțit și de o adenopatie la nivelul lanțului mamar intern stâng (Fig. 4). Se efectuează puncție biopsie TRU-CUT, cu ac de 14 G din nodulul mamar stâng si puncție aspirativă fină din adenopatia mamară internă, rezultatul HP si IHC

Bibliografie

Primary and Secondary Breast Lymphoma: Clinical, Pathologic, and Multimodality Imaging Review, RadioGraphics, 2019

Lymphoma in the breast. Proc (Bayl Univ Med Cent). 2013

Secondary breast lymphoma: A case report. Radiology Case reports. 2024

Fig.
Fig.
Fig.

Colonoscopia virtuală - alternativă la colonoscopia convențională

Dezvoltarea colonoscopiei virtuale, care include atât colonografia prin computer tomografie (CT), cât și cea prin rezonanţă magnetică (RM), a apărut ca o alternativă la colonoscopia optică, scopul fiind de a îmbunătăţi acceptanţa privind screening-ul pentru polipi și cancer și reprezintă o metodă excelentă pentru pacienţii cu risc de complicaţii la colonoscopia convenţională, pacienţii vârstnici, cu un status fragil sau cu comorbidităţi în stadii avansate. De asemenea, metoda este indicată atunci când colonoscopia optică nu a reușit vizualizarea întregului colon, leziunile stenotice sau segmentele lungi de colon nefiind un impediment pentru colonoscopia virtuală. În plus, mulţi dintre pacienţii care folosesc aceste metode imagistice în scop de screening, nu au polipi și pot fi scutiţi de examinarea prin colonoscopie conventională, care necesită de multe ori și sedare. Colonografia prin CT sau RM poate detecta anomalii și în afara colonului, precum tumori în alte organe sau anevrisme ale aortei abdominale. Metodele imagistice de vizualizare a colonului sunt bine tolerate, nu sunt necesare sedarea sau medicaţia antialgică și nu este nevoie de un timp de recuperare după procedură1.

Medic primar radiologie-imagistică medicală, Arcadia Medical Center, Iași

Datorită accesibilitaţii și raţiunilor economice, colonoscopia virtuală s-a bazat în primul rând pe CT, însă colonografia RM a evoluat treptat ca metodă alternativă, având o serie de avantaje, precum lipsa iradierii și contrastul mai bun dintre părţile moi.

Ca și pentru colonoscopia optică, este necesară curăţarea colonului înainte de examinarea imagistică, pentru a permite radiologului să identifice cu acurateţe prezenţa polipilor sau a altor patologii. Aceasta este ușor acceptată de către pacienţi, iar distensia retrogradă a lumenului, pentru evaluarea corectă a peretelui, este de asemenea acceptată fără rezerve, dacă se explică pacientului utilitatea acesteia și modul cum se va desfășura procedura. În cazuri excepţionale, când distensia retrograda a lumenului nu se poate realiza (de exemplu pacient cu colostoma), se poate recomanda de către medicul imagist distensia ortogradă, deși aceasta nu oferă condiții optime de evaluare a peretelui.

Pregatirea adecvată pentru colonografia prin CT sau RM, precum și asigurarea unei distensii optime a lumenului sunt esenţiale pentru reușita examinării. De cele mai multe ori, medicul clinician

care recomandă examinarea are în vedere și recomandarea unei formule potrivite pentru pacient de curăţare a colonului, acesta cunoscându-i cel mai bine comorbidităţile și compatibilitatea acestora cu preparatele de curăţare a colonului disponibile pe piaţă. Insă, nu de puţine ori, medicul imagist este în situaţia de a recomanda pacientului sau de a împărtăși cu colegii clinicieni produsele de curăţare cu care are o experienţă mai bună, din practică. Cunoașterea principalelor soluţii de curăţare a colonului devine astfel un instrument util pentru medicii imagiști care doresc să se ocupe, în practica lor, de colonografia prin CT sau RM.

Un produs de curăţare a colonului reprezintă o formulă laxativă orală, pe care pacientul va trebui să și-o administreze în după amiaza dinaintea examinării colonului. Laxativele osmotice se bazează pe prezenţa în formulă a unui agent sau a unei combinaţii de mai mulţi agenţi hiperosmotici, substanţe pe care intestinul nu le poate absorbi și care declanșează în intestin absorbţia apei din corp, pentru a le forţa să treacă; apa suplimentară înmoaie scaunul și crește volumul din colon, ceea ce declanșează peristaltismul și evacuarea. Procesul poate produce deshidratare, așa încat este important a se lua laxativele osmotice împreună cu lichide și electroliţi suplimentari. Agenții hiperosmotici mută o mare parte din conținutul de apă al corpului în intestine și apoi elimină totul foarte repede, fără a oferi corpului șansa de a reabsorbi apa și electro-

liții din intestin. Deficitul semnificativ de electroliți poate avea consecințe grave. De aceea, fluidele și electroliții sunt încorporați în formula de pregătire a colonului2 În vederea curăţării colonului, pacientului i se vor recomanda laxative lichide în ziua premergătoare examinării, fie că sunt formule bazate pe polietilenglicol, fie formule bazate pe săruri, în funcţie de indicaţii, vârstă și comorbidităţi. Diversele formule includ, în general, laxative osmotice și electroliţi2. Combinaţii variate sunt disponibile pe piaţă, cu beneficii de reducere a volumului total de lichide necesar a fi ingerat sau cu diverse arome, pentru creșterea complianţei2

Unele formule combină un laxativ hiperosmotic bazat pe săruri cu un laxativ stimulant al activităţii intestinului (picosulfat).

Formulele bazate pe polimeri (polietilenglicol) realizează efect izoosmotic, sunt tipic sub forma de pudră si se mixează cu volume mari de apă (pâna la 4 litri); nu lezează mucoasa intestinală, ceea ce le face potrivite pentru pacienţii cu sindrom de intestin iritabil, de exemplu; sunt de asemenea considerate opţiunea mai potrivită pentru pacienţii cu risc de complicaţii în urma pierderii de fluide și electroliţi, cum sunt cei cu boli cardiace, hepatice sau renale2,3.

Formulele bazate pe săruri sunt la fel de eficiente și au o complianţă mai bună la unii pacienţi, însă pot irita mucoasa la pacienţii cu boli inflamatorii intestinale, de aceea nu sunt recomandate în fazele acute ale inflamației tractului intestinal

Dr. Nicoleta-Camelia Bar

sau în cazul pacienților cu risc de complicaţii în urma dezechilibrelor hidro-electrolitice4. Preparatele pe bază de sulfaţi pot fi mai ușor de ingerat și sunt la fel de eficiente dacă sunt luate conform instrucţiunilor. Pentru pacienţii care au dificultăţi în a ingera soluţii cu polietilenglicol, formulele cu sulfați pot avea o acceptanţă mai bună2

Atunci când lumenul este curăţat, colonul este în cea mai mare parte colabat, de aceea este necesar a fi destins înaintea examinării imagistice, pentru a permite o corecta evaluare a peretelui. Altfel, segmentele de colon colabate pot mima îngroșări parietale, conducând la inter-

pretări eronate ca inflamaţie și tumori, sau pot împiedica vizualizarea polipilor. Pentru a asigura o distensie suficientă, se pot folosi apă, soluţii diluate ale unor agenţi de contrast, aer sau bioxid de carbon. Spasmele intestinale și artefactele cauzate de mișcarea intestinală pot fi reduse prin utilizarea de agenţi spasmolitici (scopolamină sau glucagon)5

Asigurarea unui bun contrast între peretele și lumenul colonului este esentială pentru vizualizarea patologiei. Acesta este asigurat la CT prin modalitatea aleasă pentru distensia lumenului și prin folosirea substanţei de contrast intravenos, iar la imagistica prin RM atât de către

acestea, cât și prin secvenţele selectate în concordanţă. Astfel, la CT se pot folosi pentru distensia lumenului contraste negative (Fig.1), precum bioxidul de carbon, aerul sau apa, și contraste pozitive (Fig.2), constând într-o soluţie diluată a unei substanţe de contrast iodate sau a sulfatului de bariu. La imagistica prin RM, discutăm despre “bright-lumen”, cu peretele colonic în nuanţe de gri închis, care se obţine prin clismă cu apă în combinaţie cu secvenţe ponderate T2 (Fig.3) sau prin clismă cu o soluţie diluată a unui agent de contrast pe bază de gadoliniu în combinaţie cu secvenţe ponderate T1; de asemenea, există metode cu “dark-lumen”, care se obţin prin distensia colonului cu apă, aer sau dioxid de carbon, în combinaţie cu secvenţe ponderate T1, achiziţionate după administrarea intravenos a unui agent de contrast pe bază de gadoliniu (Fig.4)6

Unele studii au analizat comparativ colonografia prin CT și RM. Ca un corolar al acestora, se poate concluziona că cele 2 metode deţin o acurateţe similară pentru vizualizarea leziunilor relevante mai mari de 6 mm7,8. Viitorul colonoscopiei virtuale prin CT, ca metodă de screening, rămâne incert, datorită folosirii radiaţiei ionizante. Deși s-au dezvoltat protocoale low-dose, o modalitate fără expunere la radiaţii trebuie preferată, dacă asigură o acurateţe diagnostică similară, acesta fiind avantajul major al colonografiei prin RM. Un alt argument în favoarea acesteia este profilul de siguranţă mai avantajos pentru agenţii de contrast intravenos, comparativ cu cei utilizaţi la CT6

Bibliografie:

Sursa Fig. arhiva personală

1. Kinner, S., & Lauenstein, T. C. MR Colonography. Radiologic Clinics of North America 2007;45(2):377–387;

2. Preparing for Your Colonoscopy: Types of Kits & Instructions clevelandclinic.org accesat sept 2024;

3. RCP Fortrans 2019;

4. RCP Eziclen 2023;

5. CT Colonography or Virtual Colonoscopy. radiologyinfo.org accesat sept 2024;

6. Thornton et al. Current Status of MR Colonography. RadioGraphics 2010;30(1):201–218;

7. Haykir et al. Three-dimensional MR and axial CT colonogra phy versus conventional colonoscopy for detection of colon pathologies. World J Gastroenterol 2006;12:2345–2350;

8. Wessling et al. Detection of Colorectal Polyps: Comparison of Multi–Detector Row CT and MR Colonography in a Colon Phantom. Radiology, 2006;241(1):125–131.

Fig. 1. Colonografie CT cu contrast negativ (apa) în lumen
Fig. 2. Colonografie CT cu contrast pozitiv (soluție diluată a unei substanțe de contrast iodate).
Fig. 3. Colonografie MR „bright-lumen” Fig. 4. Colonografie MR „dark-lumen”

DRAINAGE

LOCALITAZION

Utilitatea ultrasonografiei în evaluarea proceselor focale mamare

The usefulness of ultrasonography in the assessment of breast focal processes

Practica ultrasonografiei mamare este atributul medicului cu atestat în ultrasonografia generală, conform curriculei de pregătire, dar sub influența majoră a experienței clinice, în cadrul unui număr mare de specialități care examinează sânul, a patologiei mamare examinate, a echipamentului utilizat și nu în ultimul rând, a tehnicii ultrasonografice folosite.

ȚFacultatea de medicină,

intit, pacienta, în mod obișnuit, se adresează medicului oncolog, endocrinolog sau ginecolog, dar nu puține sunt situațiile când medicul de familie, internist, radiolog și din alte specialități cu atestat în ultrasonografia generală se pot confrunta cu solicitarea sau oportunitatea examinării ultrasonografice a glandei mamare. Astfel, pacientele femei și mai rar (dar de cele mai multe ori în situații severe) pacienții bărbați se adresează medicilor din diverse specialități semnalând:

• Durere la nivelul glandei mamare, difuză sau localizată;

• Mărirea de volum a unui sân;

• Constatarea unei secreții mamelonare;

• Autopalparea unui nodul mamar, dureros sau nu;

• Antecedente de cancer mamar în familie;

• Control ecografic după un traumatism mamar recent sau îndepărtat;

• Control ecografic, fără simptomatologie, în perioada menopauzei;

• Control ecografic general – preventiv – de obicei solicitat la nivel cervical, mamar și abdominal.

Integrând astfel ultrasonografia examenului clinic, după prima motivație a examenului adusă de pacient sau de un bilet de trimitere, fiecare medic practician al ultrasonografiei mamare este dator să răspundă la câteva întrebări:

1. Se constată modificări difuze sau focale la nivelul glandelor mamare?

2. Se identifică un nodul circumscris, chistic sau solid?

3. Nodulul solid are caractere sugestive pentru benignitate sau malignitate – cel mai frecvent în ultrasonografia convențională-ductală și Doppler și mai recent în elastografie?

4. Se identifică adenopatii axilare? Cu caractere de benignitate sau malignitate – tip nodul santinelă? – prin ecografie conventional-ductală, Doppler, elastografie.

5. În toate cazurile în care se constată procese focale solide, cu deosebire a celor susceptibile de malignitate, se extinde examenul ecografic la nivel hepatic și (recomandabil) la nivelul întregului abdomen.

6. Dacă sunt leziuni cert maligne se examinează obligatoriu și cavitățile pleurale prin examinare transtoracică.

7. Eventuale recomandări pentru alte examinări imagistice – ecografie-second opinion, elastografie cu echipament performant, radiografie toracică, CT/RMN. În privința mamografiei, recomandăm ca indicația să fie stabilită de către oncolog, endocrinolog sau imagist.

8. Recomandări pentru consulturi de specialitate (directe – oncologie, endocrionologie, ginecologie, chirurgie sau conexe – neurologie, pneumologie, recuperare) și specialitatea către care se referă pacientul.

De la bun început tehnica de examinare abordată trebuie să fie tehnica ductală, corelată cu structura anatomică a glandei mamare. Aceasta și-a dovedit superioritatea față de tehnica convențional clasică, întrucât poate identifica elementele patologice în raport cu structurile anatomice de origine (ducte, lobuli, unități terminale ducto-lobulare), poate identifica modalitățile de diseminare ductală la nivelul lobului (un al doilea nodul) elemente patologice identificate cu ultimele generații de echipamente, la dimensiuni foarte mici, milimetrice sau chiar în stadii in situ.

Indiferent de simptomul indicat de pacient, examenul se desfășoară sistematic la nivelul

întregii glande bilateral și la nivelul regiunilor axilare bilateral, pentru a constata sau exclude și eventuale procese focale asimptomatice.

Odată constatat un proces focal se cercetează criteriile care definesc și deosebesc structura lichidiană de cea solidă și apoi criteriile comparative sugestive pentru benignitate sau malignitate, pornind de la criteriile Stavros (2002) completate de atributele ecografiei ductale introduse de Teboul și Amy din 2003 și completate apoi de criteriile elastografice Ueno. Același studiu comparativ benign/malign se practică pentru adenopatiile axilare constatate.

Semiologia ecografică bidimensională a tumorilor cuprinde următoarele elemente descrise de rezultatul ecografic: forma, orientarea axială, conturul, delimitarea, chenarul ecogen peritumoral, umbra marginală, efectul acustic retrotumoral, ecogenitatea, ecostructura, calcificările, aspectele vasculare tumorale –Doppler, distorsiunea arhitecturală, aspectul ecografic al țesuturilor peritumorale, ligamentele Cooper, ecogenitatea țesutului adipos, modificările tegumentare, alterările ductale, dilatările venoase sau limfatice.

Se menționează și rezultatul unor teste dinamice efectuate în momentul examinării: mobilitatea leziunii, compresibilitatea tumorii, iar în corelație cu acest ultim parametru se efectuează examenul elastografic.

Majoritatea tumorilor benigne, și în special fibroadenoamele, prezintă criterii ecografice tipice, care permit diferențierea acestora de neoplasme. Cancerul mamar poate îmbrăca numeroase aspecte ecografice, cuprinzând mai multe elemente semiologice ecografice sugestive. Deși aproximativ 5% dintre carcinoamele mamare, au aspect ecografic atipic, pseudobenign, cu cât la nivelul unei leziuni se asociază mai multe dintre semnele ecografice predictive de malignitate prezentate, cu atât diagnosticul de tumoră malignă poate fi stabilit cu probabilitate mai mare.

Prof. Univ.
Dr. Viorela Enăchescu
UMF Craiova

Extensia examenului ecografic la nivelul abdomenului încheie de obicei examenul mamar într-un cabinet de consultații clinice.

Este de precizat, în cele din urmă, că este corect și deontologic ca pacientul să fie trimis și la alte consulturi (la medici din specialități conexe), nefiind recomandabilă decizia singulară a primului examinator.

Capcane, erori, dificultăţi și limite în practica ultrasonografiei mamare

Pornind de la primele indicaţii ale tehnicilor ecografice convenţionale iniţial, binecunoscute, ca examen de primă intenţie pentru femeile în vârstă de până la 30-40 ani, în cazul sânului mic, dens, glandular, ginecomastiilor, mastodiniilor, inflamaţiilor, traumatismelor, în perioadele de sarcină și alăptare, în urmărirea postoperatorie pentru recidive, complicaţii – diverse colecţii, în evaluarea protezelor mamare sau a nodulilor depistaţi clinic, cu dirijarea puncţiilor mamare - ecoghidare pentru prelevare citologică, pe măsura evoluţiilor metodologice și tehnice, ultrasonografia mamară a devenit o tehnică redutabilă de diagnostic. Achiziţiile tehnice din ce în ce mai performante au permis, pe de o parte diversificarea paletei patologice investigate, iar pe de altă parte devansarea precoce a momentului diagnosticului și detectarea în limite milimetrice, nebănuite cu ani in urmă, a cancerelor mamare sau a cancerelor in situ.

Apariţia sondelor multifrecvenţă, cu bandă largă, cu dimensiuni mai mari adaptate examinării în câmpuri largi a regiunilor mamare, utilizarea pernei cu apă pentru sporirea acurateţei vizualizării leziunilor mici, superficiale, retromamelonare și progresiv, evoluţia modulelor Doppler, 3D, a sonoelastografiei calitative si cantitative, au constituit tot atâtea momente de performanţă, de răscruce, cu antrenarea continuă a unor noi limite, capcane și erori.

Dincolo de erorile tehnice primare (nerespectarea unui protocol sistematic de investigare, neadecvarea frecvenţei și dimensiunilor sondelor de examinare, nerespectarea pașilor și timpilor de examinare) primele limite și erori s-au dovedit a fi: omiterea depistării unor procese focale, caracterizarea lor incompletă, dificultăţi majore în diagnosticul diferenţial pentru leziuni ulterior benigne sau maligne, cu un aspect iniţial ecografic identic.

Cele mai revoluţionare și spectaculoase momente în examinarea ultrasonografică a sânului au fost aduse de ultrasonografia ductală (ED) sau radiară, în contrast cu cea convenţională. Tehnicile imagistice de examinare a sânului nu permiteau o analiză anatomică precisă a glandei mamare, cu studierea te-

gumenului, a ţesutului gras, a ţesutului conjunctiv, a corpului glandei mamare “corpus mammae”, a planurilor musculare profunde. Examinarea radială este realizată după modelul orar, în jurul mamelonului, pentru scanări succesive ale fiecărui lob, aceștia fiind aranjaţi armonios, în corolă, în jurul mamelonului (ca imaginea petalelor unei margarete).

Capcanele examinării sunt în fapt neidentificarea structurilor anatomice constitutive – ducto-epiteliale, lobulare, a ligamentelor Cooper, punctul de intersecţie a axelor ligamentului Cooper și ductelor care delimitează unitatea terminală ducto-lobulară (UTDL), unde va debuta leziunea oncologică. ED a devenit cea mai eficientă tehnică de investigare a cancerului în cazul femeilor cu vârsta sub 50 de ani, la care radiologii nu reușesc adesea să analizeze patologii ale sânului ascunse de marea densitate a ţesutului conjunctiv înconjurător. La aceste paciente terapia substitutivă cu hormoni tinde să mărească densitatea mamografică a sânului și poate cauza dificultăţi la citirea mamografiilor, pe când structurile ducto-lobulare intralobare sunt bine observate și analizabile cu ED (deoarece aspectul lor ecografic este exagerat de hormonoterapie).

ED este singura metodă care permite diagnosticarea a patru afecţiuni benigne ale sânului care în mod normal nu sunt diagnosticate mamografic sau prin ecografie convenţională: ectaziile ductale, papilomatozele, adenosclerozele și mai ales hiperplaziile, considerate ca transformări histologice ce preced formarea fibroadenoamelor, chistelor și a cancerelor.

Principalele limite și erori în interpretarea imaginilor pornesc de la dezideratul oricărui examen ultrasonografic mamar, respectiv diferenţierea între o leziune benignă si o leziune malignă. Criteriile ecografice de diferenţiere au folosit de-a lungul timpului elemente de semiologie ecografică descrise și cuantificate în viziunea mai multor autori: Kobayashi (1979 și 1989) pentru margini, formă, contur, ecogenitate, ecouri interne, efect acustic retrotumoral, pentru diferenţierea leziunilor centimetrice, Zonderland care constată sensibilităţi relativ mici (cuprinse intre 38 si 85 %) ale diverselor semne ecografice, considerate in mod singular, izolat. Stavros, în două grupe de studiu, în 1995 si 2002, a considerat toate semnele ecografice descriptive pentru un proces focal și a obţinut scoruri mici pentru parametrii descriptivi lezionali consideraţi individual și scoruri de sensibilitate de 98 si 99%, când a considerat parametrii combinaţi. Limite notabile generatoare de erori în diagnosticul diferenţial sunt descrise de diverși

autori în cazul calcificărilor, unor leziuni considerate tipic benigne, al căror conţinut nu poate fi însă diferenţiat de carcinoamele tubulare, mucinoase, medulare, a căror diferenţiere poate fi efectuată exclusiv prin puncţie, precum și diferenţierea chistelor simple și a celor complexe. Intrucât patologiile se dezvoltă progresiv de-a lungul structurilor ducto-lobulare, leziunile ar trebui observate în diferite stadii de evoluţie.

Alte limite și erori în caracterizarea proceselor benigne sunt prezente în cadrul hiperplaziilor – structuri dilatate, cu conţinut celular, care nu sunt radiovizibile, displaziile fibro-chistice – dilataţii focale frecvent associate cu prezenţa unor papiloame neidentificate, fibroadenoame, dificil de identificat ca leziuni solide dezvoltate în lobuli.

În privinţa leziunilor maligne sunt adesea erori în identificarea unei a doua leziuni solidă sau chistică, în acelasi lob sau a mai multor leziuni, a carcinoamelor cu extensie intra-ductală, sau a cancerelor difuze. Malignităţi milimetrice pot fi adesea omise în neidentificarea ductului afectat, de-a lungul căruia trebuie cautate sau a unor semne indirecte centimetrice.

Alte erori pot apărea în momentul neutilizării sonoelastografiei atât calitative, cât și cantitative pentru leziuni cu aspecte ecografice aproape similare.

În general, problemele majore care stau la baza tuturor erorilor și limitelor de diagnostic apar în prezenţa unei variabilităţi foarte mari inter-obervatori în descrierea și caracterizarea leziunilor.

O altă limită importantă este și aceea că diagnosticul trebuie identificat, în timp real, în momentele examinarii și nu exclusiv prin achiziţii și prelucrări de imagini, precum în alte tehnici imagistice.

Referințe:

1. Madjar H – The practice of breast ultrasound : techniques, findings, differential diagnosis – Thieme, Thieme, Stuttgart – New York, 2000.

2. Durante E. et al.: Malignant diagnostic criteria, in Syllabus of the Euroson School course, Breast ultrasound, Craiova, 2004, p. 74-76.

3. Teboul M. Practical Ductal Echography (D.E.) Editorial Medgen S.A. Madrid Early 2004.

4. Stavros AT. US of solid breast nodule: distinguishing benign from malignant. American Institute of Ultrasound in Medicine Breast Course: Current Concepts and Future Directions. Nashville TN, March 10, 2002.

5. Zonderland HM, Hermans J, Coerkamp EG. Ultrasound variables and their prognostic value in a population of 1103 patients with 272 breast cancers. Eur Radiol 2000; 10(10): 1562-1568.

6. Dolfin G, Ettore G, Amoros Oliveros FJ, Amy D, Bourgeois JM, Distratis V, Dolfin AM, Drinkovic I, Durante E, Ferrante M, Fuster Palacio C, Indelicato S, Leonardi M, Scaramuzza PF, Strano E, Szopinski K, Teboul M. Recomendaciones para un correcto uso del metodo ultrasonográfico en el diagnostico senológico. Medicina General 2002; 44: 361-368.

Infertilitatea masculină. Anomalii vasculare acute și cronice

Male infertility. Acute and chronic vascular abnormalities

Infertilitatea masculină se definește ca incapacitatea unui barbat de a produce o sarcină la o femeie fertilă, În statisticile vest-europene, apare cu o frecvență de cca 7% în populația masculină. Inferilitatea recunoate cauze pre-testiculare, intratesticulare și post-testiculare.

Coordonatorul

Cauzele pre-testiculare cuprind diverse afecțiuni, printre care hipogonadismul, alcoolismul, consumul de droguri.

Foto 1-2

Deasemenea, unele sporturi cum sunt ciclismul sau echitația, precum și unele medicamente de tipul chimioterapeuticelor, cimetidina, spironolactonele, fenitoina etc, pot conduce la infertilitate masculină. Practicat ca sport de performanță, ciclismul este recunoscut ca factor determinant și în apariția unor tumori testiculare maligne

Factorii testiculari includ: varicocelul, tumori maligne, criptorhidia, status post traumatic sau torsiune testiculară, hidrocelul sau status post-infecții de tip rujeolă, parotidită epidemică, malarie, ologos-

permie idiopatică (1) sau fibroză instalată post-iradiere.(2)

Foto 5

Cauzele post-testiculare cuprind: agenezia sau obstrucția vaselor deferente, obstrucția ductului ejaculator, inflamații cornice (prostatita cronică), hipospadias etc.

Diagnosticul clinic se face începând cu anamneza și examenul fizic, urmat de spermogramă (repetată).

Examinarea ecografică a testiculului și scrotului poate să evidențieze anomalii dimensionale. Scăderea în dimensiuni poate apărea ca urmare a unor leziuni degenerative (după infecții, inflamații, leziuni trau-

matice, afecțiuni vasculare, criptorhidie, radioterapie). Creșterea în dimensiuni poate să însoțească inflamațiile acute (orhi-epididimită), patologia tumorală (benignă sau malignă). Dilatații ale epididimului demonstrează obstrucții sau inflamații.

Examinarea Doppler este de mare ajutor în diferențierea vascularizației unor formațiuni intra și extratesticulare.

Cercetarea vascularizației parenchimului testicular aduce informații prețioase privind gradul de irigare și poate da indicații implicit despre funcția testiculară. Nu trebuie să uităm că testiculul funcționează atât ca o glandă endocrină care asigură secreția hormonilor androgeni, cât și spermatogeneza.

Perturbarea vascularizației testiculare poate avea cauze diferite, dintre care cele mai frecvent întâlnite sunt:

• insuficiențe de drenaj venos (varicocel) simple sau complicate cu tromboze

• afecțiuni inflamatorii acute și cronice locale (orhiepididimite)

• status post traumatic, torsiune testiculară, infecții generalizate

• afecțiuni vasculare congenitale

• anomalii de poziție (criptorhidie)

• formațiuni tumorale, atât ale celulelor germinale cât și ale celulelor de susținere

Cercetările au demonstrat că perturbările de vascularizație testiculară afectează ambele funcții testiculare, dar cel mai adesea este interesată funcția de spermatogeneză (oligozoospermia - descreșterea numărului de spermatozoizi în spermă; azoospermia- absența spermatozoizilor în spermă; aspermia - absența completă a producerii spermei; hipospermia-reducerea volumului lichidului seminal; astenozoospemia - reducerea motilității spermatozoizilor; teratospermia-creșterea numărului de spermatozoizi anormali morfologic).

Dr. Dan A. Stănescu
Serviciului de Medicina Nucleară și Ultrasonografie, Institut Clinic Fundeni
Foto 3-4

“Over 100 years of experience in diagnostic imaging”

Filme radiologice și substanțe de developare

“Over 100 years of experience in diagnostic imaging”

Digitizoare de plăci fosforice (CR)

Filme radiologice și substanțe de developare

Aparate de developare automată

Digitizoare de plăci fosforice (CR)

Aparatură și filme pentru mamografie

Aparate de developare automată

Aparate de imprimare uscată filme de imagistică

Aparatură și filme pentru mamografie

Sisteme PACS

Aparate de imprimare uscată filme de imagistică

Filme radiologice pentru stomatologie

Sisteme PACS

Filme radiologice pentru stomatologie

Soluții profesionale pentru vizualizare

Monitoare de diagnostic Plăci grafice dedicate

Soluții profesionale pentru vizualizare

Monitoare de diagnostic Plăci grafice dedicate

Injectoare de contrast CT, RM si Angiografie

Injectomate dual-head (soluție salină de contrast)

Injectoare de contrast CT, RM si Angiografie

Seringi si tuburi conectoare

Injectomate dual-head (soluție salină de contrast)

Seringi si tuburi conectoare

Negatoscoape pentru radiologie, chirurgie

Sisteme de iluminare pentru camere

Negatoscoape pentru radiologie, chirurgie

Sisteme de iluminare pentru camere

Aparate de imprimare și multiplicare CD/DVD/BD-R pentru imagini radiologice și date.

Aparate de imprimare și multiplicare CD/DVD/BD-R pentru imagini radiologice și date.

Str: Gheorghe Țițeica, nr. 171, Sector 2, București, Cod 020296

Telefon: +40 21 2038971, +40 21 2038972, 0314052109, 0314052110

Fax: +40 21 2317210

E-mail: office@test-trading.ro Facebook: https://www.facebook.com/test.trading

Fax: +40 21 2317210

E-mail: office@test-trading.ro Facebook: https://www.facebook.com/test.trading

Foto 5. Aspecul varicocelului la examenul fizic (schema modificata) si aspectul dilatatiilor venelor periepididimare (din plexul pampiniform)

Foto 6. Examenul Doppler stabileste dg. de torsiune testiculara- se obseva absenta semnalului vascular in parenchimul testicolului torsionat (a), comparativ cu testicolul contralateral (b)

3-4. Ciclismul si echitatia implica microtraumatisme testiculare

Foto 7. Dilatatii varicoase ale venelor periepididimare (a). Examenul Doppler demonstreaza scaderea vitezei de circulatie si prezenta refluxului circulator in aceste vene, pe alocuri cu tendinta de tromboza venoasa (b)

Foto 6- torsiune testiculară

La majoritatea subiecților care s-au prezentat în serviciul nostru cu probleme de infertilitate s-au depistat dilatații varicoase ale venelor periepididimare.

Foto 7- varicocel cu reflux venos și tendință la tromboză

Au existat și pacienți cu afecțiuni inflamatorii acute repetate sau cronice, testiculare și epididimare.

Mai rar, au fost diagnosticate afecțiuni tumorale având drept consecință infertilitatea (țesut adrenal ectopic, unele formațiuni tumorale).

Studiile lui Folkman despre angiogeneza intratumorala (3) permit înțelegerea aspectelor oferite de explorarea Doppler color în tumori. Într-o lucrare publicată în 1985 Folkman descrie unele aspecte vasculare legate de fenomenul neovascularizaţiei tumorale. (4) Vasele de neoformație sunt vase întâlnite în practic mai toate tipurile de tumori (5) , având o structură anormală, caracterizată printr-un număr redus de fibre musculare netede în media vasului. În categoria vaselor tumorale intră structuri cu aspectul de lacuri vasculare sau sinusoide tumorale. Shunturile arteriovenoase conduc la apariţia unor viteze crescute ce pot fi detectate cu tehnici de examinare Doppler. Aceste anomalii vasculare modifică parametrii de flux circulator intratumoral, parametrii care pot fi uşor măsurați prin petoda Doppler pulsat, cei mai cunoscuți fiind indicele de rezistivitate şi indicele de pulsatilitate (5) .

Bibliografie selectivă

1. Cavallini G. Male idiopathic oligoasthenoteratozoospermia. Asian Journal of Andrology 2006,8 (2): 143–157,.

2. Gutfeld O, Wygoda M, Shavit L, Grenader T . Fertility After Adjuvant External Beam Radiotherapy for Stage I Seminoma. The Internet Journal of Oncology 4 (2)2007

3. Folkman J, Merle E, Abernathy C, Williams G. Isolation of a tumor factor responsible for angiogenesis. J Exp Med 1971;33:275

4. Folkman J. Tumor angiogenesis. Adv Cancer Res 1985;43:175-202

5. Stanescu DA- Metode invasive in diagnosticul ecografic al tumorilor hepatice. In:Diagnosticul tumorilor hepatice prin ecografie Doppler și unele metode scintigrafice. Teza de doctorat. Universitatea de Medicină și Farmacie “Carol Davila”-București, Feb.2002

Foto 1-2. Consumul exagerat de alcool ca si consumul de droguri pot produce infertilitate
Foto

Rolul tehnicilor ecografice în diagnosticul și managementul abceselor hepatice

The role of ultrasound techniques in the diagnosis and management of liver abscesses

Abstract: Liver abscess is a relatively rare but a severe disease. The diagnosis of liver abscess should be suspected whenever we have a patient who has a focal liver lesion and clinically suggestive signs: fever, night sweats, weight loss, abdominal pain. Conventional ultrasound and contrast-enhanced ultrasound are first-line imaging techniques in the diagnosis and therapy guidance of this pathology.

AProf. Univ. Dr. Alina Popescu

Clinica de Gastroenterologie

și Hepatologie, UMF „Victor Babeș” Timișoara, Spitalul Clinic Județean de Urgență „Pius Brânzeu” Timișoara

bcesul hepatic este o patologie din fericire relative rară, dar la care un diagnostic corect rapid este foarte important pentru evoluția favorabilă a pacientului. Este reprezentat de o colecție cu conținut purulent, cel mai adesea cauzată de bacterii. Se caracterizează prin prezența lichidului vâscos purulent înconjurat de un perete inflamator dezvoltat ca răspuns al organismului împotriva leziunilor infecțioase. Este o afecțiune potențial letală care necesită recunoaștere promptă și tratament adecvat pentru un rezultat favorabil. Managementul acestei patologii s-a schimbat în ultimii 40 de ani. În trecut, această boală cu morbiditate ridicată era tratată fie conservator cu antibioterapie, fie prin drenaj chirurgical deschis, cu rate de mortalitate ridicate, cuprinse între 9-80%. Dezvoltarea tehnicilor imagistice de diagnoză, precum și a aspirației și drenajului percutanat ghidat imagistic, a schimbat prognosticul acestei patologii, rămânând însă o patologie severă, cu potențial letal. Însă, chiar dacă diagnosticul (și managementul) a beneficiat foarte mult de avantajele tehnicilor imagistice, acesta rămâne totuși dificil din cauza simptomelor nespecifice.

Abcesele hepatice sunt de obicei secundare, apariția acestora fiind favorizată de alte afecțiuni (diverticulita acută, boala Crohn, apendicita, pancreatita acută cu colecții infectate), când infecția se răspândește la ficat prin circulația portală, sau prin

răspândirea directă în colangită. Abcesele mai pot rezulta și din însămânțarea arterială în infecții sistemice sau secundar unor cauze locale, cum ar fi colecistita acută, hematomul post ablație cu radiofrecvență (RFA) sau chemoembolizare. Pacienții cu diabet, boli hepatobiliare, pancreatice subiacente sau transplant de ficat au un risc mai mare de a dezvolta această afecțiune.

Majoritatea abceselor hepatice sunt polimicrobiene, germenii implicați fiind: bacili gram-negativi (Escherichia coli, Pseudomonas, Klebsiella, Morganella morgana), anaerobi (Bacteroides, Fusobacterium), Streptococcus, Staphylococcus, Entamoeba histolytica.

Chiar dacă semnele clinice sunt nespecifice, un abces hepatic trebuie suspectat pe baza prezenței febrei, transpirațiilor nocturne, scăderii în greutate, durerilor abdominale, greței, durerii în hipocondrul drept sau sensibilității abdominale. Testele biologice arată de obicei leucocitoză, sindrom inflamator, enzime hepatice crescute (ALT, AST, fosfatază alcalină, GGTP), dar diagnosticul pozitiv este stabilit pe baza tehnicilor imagistice.

Ecografia convențională este, de obicei, prima tehnică imagistică utilizată în practica clinică pentru evaluarea ficatului. Este o metodă în timp real, larg răspândită, cu o acuratețe bună pentru detectarea leziunilor hepatice, relativ ieftină, accesibilă, neiradiantă, ce poate fi repetată la nevoie, dar îi lipsește specificitatea necesară pentru un diagnostic pozitiv în cazul leziunilor hepatice circumscrise. Aspectul ecografic convențional al abceselor hepatice este variabil. De obicei depistăm o formațiune hipoecogenă, inomogenă, cu perete gros neregulat (Fig. 1), cu septuri interne, uneori conținând

gaz (arii hiperecogene strălucitoare cu umbră posterioară mai puțin definită, vizibile în interiorul leziunii). Acestea sunt cele mai frecvente caracteristici ecografice ale leziunilor, dar nu sunt specifice doar pentru ele. Într-un context clinic specific însă, cu febră și stare general alterată, sunt înalt sugestive pentru abcesul hepatic. De asemenea, reevaluarea ecografică în dinamică arată modificarea în decurs de câteva zile a aspectului ecografic, ceea ce pledează în plus pentru o leziune acută.

Ecografia convențională are o sensibilitate raportată pentru detectarea abceselor hepatice piogene cuprinsă între 85 și 96%.

Acuratețea diagnostică a ecografiei convenționale poate fi îmbunătățită însă de folosirea ecografiei cu substanțe de contract de generația a II-a (Contrast Enhanced Ultrasound - CEUS), tehnică ce permite caracterizarea vascularizației leziunilor circumscrise hepatice. Ecografia cu contrast este, de asemenea, o tehnică de imagistică în timp real care nu implică radiații, care poate fi efectuată chiar și la pacienții cu insuficiență renală. De obicei, evaluarea cu contrast se efectuează imediat după examinarea convențională, iar diagnosticul pozitiv poate fi obținut prin urmărirea arhitecturii vasculare a leziunilor în 3 faze după injectarea subtanței de contrast, respectiv: faza arterială (în primele 30 secunde de la injectarea contrastului), faza portală (începe după faza arterială, până la 120 secunde de la injectarea contrastului) și faza tardivă (după 2 minute de la injectare). Această tehnică a fost dezvoltată pentru diagnosticul leziunilor circumscrise hepatice și și-a dovedit utilitatea și acuratețea în numeroase studii, având performanțe similare cu tomografia computerizată (CT) și rezonanța magnetică nucleară (RMN). și la pa-

cienții cu insuficiență renală. De obicei, evaluarea cu contrast se efectuează imediat după examinarea convențională, iar diagnosticul pozitiv poate fi obținut prin urmărirea arhitecturii vasculare a leziunilor în 3 faze după injectarea subtanței de contrast, respectiv: faza arterială (în primele 30 secunde de la injectarea contrastului), faza portală (începe după faza arterială, până la 120 secunde de la injectarea contrastului) și faza tardivă (după 2 minute de la injectare). Această tehnică a fost dezvoltată pentru diagnosticul leziunilor circumscrise hepatice și și-a dovedit utilitatea și acuratețea în numeroase studii, având performanțe similare cu tomografia computerizată (CT) și rezonanța magnetică nucleară (RMN).

În cazul abceselor hepatice, ecografia cu contrast va arăta o hipercaptare în periferia leziunii în faza arterială, datorită inflamației de la acest nivel, prezența în interiorul leziunii a unor septe captante, ce realizează un aspect „de fagure” tipic pentru abcesele hepatice, și care delimitează zone necaptante, necrotice.

Ecografia cu contrast este astfel utilă și pentru a delimita zonele avasculare din interiorul abcesului și pentru a identifica 4 posibile stadii sonomorfologice ale bolii: stadiul I - definit de inflamația focală fără necroză; stadiul II - definit de grupuri de micro-abcese care par să conflueze; stadiul III - definit de o singură cavitate cu sau fără capsulă; stadiul IV - definit de numeroase abcese mici diseminate în tot ficatul.

Chiar dacă tehnicile imagistice au acuratețe mare pentru diagnosticul pozitiv al abceselor hepatice, aspirarea ecoghidată a lichidului din leziune cu un ac fin sau de calibru mai mare (în funcție de vâscozitate), poate diferenția un abces de o colecție lichidiană neinfectată, și este esențială în diagnosticul și managementul corect al abceselor. Este o procedură rapidă, sigură și ieftină care permite un diagnostic pozitiv rapid și obține, de asemenea, o probă pentru microbiologie. În 45-60% din cazuri un singur agent patogen microbian este izolat din abces, în timp ce în aproximativ 40% din cazuri etiologia este polimicrobiană. Procedura poate fi efectuată și sub ghidare CEUS, ceea ce permite identificarea celei mai bune zone de interogat (zonă necaptantă - avasculară).

Tratamentul adecvat al abceselor hepatice include terapia antibiotică cu spectru larg, aspirarea sau drenajul percutanat, cel mai frecvent ecoghidat, și drenajul chirurgical. Înainte de anii ‘70, drenajul chirurgical era considerat tratamentul de elecție pentru abcesele hepatice, cu rate ridicate de mortalitate. Astăzi, drenajul percutanat ecoghidat plus antibioterapie este abordarea de primă linie, în timp ce intervenția chirurgicală este rezervată doar acelor cazuri în care tratamentul percutanat eșuează, sau când cauza abcesului necesită tratament chirurgical urgent. Ghidarea folosind ecografia este preferată, deoarece oferă avantajul ghidării în timp real a acului, permite monitorizarea cursului acului sau a cateterului prin țesuturi și este, de

asemenea, mai puțin costisitoare, în timp ce ecografia cu contrast permite stabilirea zonei de preferat a fi abordată. Ori de câte ori este posibil, o cale de acces transhepatică este preferată pentru puncționare pentru a evita scurgerea de material purulent în cavitatea peritoneală.

În concluzie, diagnosticul de abces hepatic trebuie suspectat ori de câte ori avem un pacient care are o leziune hepatică circumscrisă şi semne clinic sugestive: febră, transpirații nocturne, scădere în greutate, dureri abdominale. Ecografia convențională şi ecografia cu contrast sunt tehnici imagistice de primă linie în diagnosticul şi ghidarea terapiei acestei patologii.

Bibliografie selectivă

1. Pearce NW, Knight R, Irving H, et al. Non-operative management of pyogenic liver abscess. HPB (Oxford). 2003;5(2):91-5.

2. Popescu A, Sporea I, Sirli R, et al. Does Contrast Enhanced Ultrasound improve the management of liver abscesses? A single centre experience. Med Ultrason. 2015 Dec;17(4):451-5.

3. Chiche L, Dargère S, Le Pennec V, Dufay C, Alkofer B. Pyogenic-liver abscess: diagnosis and management. Gastroenterol Clin Biol. 2008 Dec;32(12):1077-91.

4. Huang CJ, Pitt HA, Lipsett PA, et al. Pyogenic hepatic abscess. Changing trends over 42 years. Ann Surg 1996; 223:600.

5. Mohsen AH, Green ST, Read RC, McKendrick MW. Liver abscess in adults: ten years experience in a UK centre. QJM 2002; 95:797.

6. Chan KS, Chen CM, Cheng KC, et al. Pyogenic liver abscess: a retrospective analysis of 107 patients during a 3-year period. Jpn J Infect Dis 2005; 58:366.

7. Thomsen RW, Jepsen P, Sørensen HT. Diabetes mellitus and pyogenic liver abscess: risk and prognosis. Clin Infect Dis 2007; 44:1194.

8. Kunze G, Staritz M, Köhler M. Contrast-enhanced ultrasound in different stages of pyogenic liver abscess. Ultrasound Med Biol. 2015 Apr; 41(4):952-9.

9. Hochbergs P, Forsberg L, Hederstrom E, Andersson R. Diagnosis and percutaneous treatment of pyogenic hepatic abscesses. Acta Radiol 1990;31: 351–353

10. Zerem E, Hadzic A. Sonographically guided percutaneous catheter drainage versus needle aspiration in the management of pyogenic liver abscess. AJR Am J Roentgenol 2007;189:W138-142.

11. Cai YL, Xiong XZ, Lu J, et al. Percutaneous needle aspiration versus catheter drainage in the management of liver abscess: a systematic review and meta-analysis. HPB (Oxford) 2014.

Fig. 1 Aspect ecografic într-un abces hepatic (modul B) – leziune hipoecogenă inomogenă.

Examenul CT și IRM în diagnosticul complicațiilor

intracerebrale ale otitei cronice

CT and MRI examination in the diagnosis of intracerebral complications of chronic otitis

Otita reprezintă inflamația mucoasei urechii medii și mastoidei. Criteriile de clasificare ale acestei patologii sunt diverse, iar in funcție de natura secrețiilor, otitele se împart în supurative și non-supurative. În ceea ce privește patologia inflamatorie cronică a urechii medii, otita cronică supurativă (OCS) este o afecțiune frecventă, in 60% din cazuri putand determina deficit de auz important. Această afecțiune se numără printre cele mai frecvente cauze de spitalizare la populația pediatrică, cu consecințe importante în ceea ce privește calitatea vieții, dar și prin complicațiile severe, unele cu risc vital ce pot apărea. Otita cronica supurativa colesteatomatoasa dar și necolesteatomatoasa poate culmina cu prezenta complicațiilor intracerebrale si mastoidiene. Colesteatomul este o masă de țesut moale dezvoltat la nivelul urechii medii, formată din epiteliu scuamos keratinizat și acumulare de keratină, cu inflamația țesutului înconjurător, care poate determina complicații intracerebrale

Prof Univ. Dr. Danisia Haba

UMF „Grigore T. Popa“ Iași, Spitalul Clinic de Urgență

„Prof. Dr. Nicolae Oblu”

Dr. Mocrei Ariadna

UMF „Grigore T. Popa“ Iași, Spitalul Clinic de Urgență

„Prof. Dr. Nicolae Oblu”

Dr. Alexandra-Elena Chichirău

UMF „Grigore T. Popa“ Iași, Spitalul Clinic de Urgență

„Prof. Dr. Nicolae Oblu”

Dr. Diana-Andreea Ilinca

UMF „Grigore T. Popa“ Iași, Spitalul Clinic de Urgență

„Prof. Dr. Nicolae Oblu”

Complicațiile comune detectate

în timpul examinarii CT au inclus:

• eroziunea scutumului

• eroziunea unghiului sinodural

• eroziunea tegmenului tympani

▶ cu leziuni inflamatorii mastoidiene

▶ meningită,

▶ empiem subdural,

▶ tromboze de sinus sigmoid sau transvers,

▶ abcese cerebeloase sau cerebrale, acestea fiind o complicație majoră în 96,7% din cazurile studiate.

Streptococcus pneumoniae a fost germenul cel mai frecvent întâlnit, subliniind necesitatea unor măsuri concentrate de prevenire și tratament.

Diagnosticul se face in baza tabloului clinic, istoricul pacientului, precum si examenul fizic si audiometria, ulterior pacientul putand fi explorat imagistic pentru confirmare siidentificarea eventualelor complicatii.

Managementul imagistic

În ceea ce privește examinarea imagistică a colesteatomului secundar, computer tomografia (CT) reprezintă standardul de aur în practica curentă, insa tot mai multe studii realizate după 2010 consideră examenul CBCT ca reprezentând o alternativă utilă datorită rezoluției spațiale superioare CT convențional si a dozei reduse de iradiere. Aceasta are rolul de a preciza gradul de extensie al afecțiunii și de a evalua existența complicațiilor. Examinarea imagistică prin rezonanță magnetică (IRM) este utilizată ca o metodă cu aport diagnostic suplimentar, în special când se suspicionează existența complicațiilor intracraniene (atunci când există o discontinuitate la nivelul tegmen tympani, meningocel, abces cerebral). Terapie și prognostic

în general, toate afecțiunile colesteatomatoase sunt tratate prin rezecție chirurgicală. Majoritatea pacienților se recuperează bine după intervenția chi-

rurgicală și au un prognostic favorabil, iar monitorizarea pe termen lung ar trebui să implice evaluări audiologice. În funcție de situația clinică, unii pacienți pot necesita curățarea mastoidiană la fiecare 3 luni, în timp ce alții doar o dată pe an. Decizia de a reopera și de a efectua o procedură de verificare secundară ar trebui luată individual, ținând cont de factori precum probabilitatea recurenței sau persistenței colesteatomului, infecția, vindecarea urechii și mastoidianai, precum și starea auzului.

Cazuri clinice

Caz 1. Pacientă in varsta de 41 de ani diagnosticată cu otită cronică supurată dreaptă. Efectuând o examinare nativ se evidențiază atât în fereastră tisulară cât și în cea de os prezența unei mase tisulare ce produce eroziunea peretelui medial și a tegumenului timpanic drept (figura A,B). Post-administare de contrast se pune în evidență o colecție intracerebrală cu priză de contrast periferică, inelară la nivelul fosei mijlocii drepte (figura C)

Pacienta beneficiază și de examinarea IRM la care se constată importanța

restricției de difuzie mastoidiană (figura D), cu hiposemnal pe harta ADC (figura C).

La nivelul abcesului intracerebal se constată restricție de difuzie cu scăderea semnalului pe harta ADC (figura G și H), priză de contrast temporală dreaptă periferica, la nivelul abcesului (figura F) și dublu contur inelar al abcesului, evidentă în secvența SWI (I).

Caz 2. Pacient în vârstă de 17 ani, cu antecedente patologice personale de colesteatom ureche stângă, operat în urmă

cu 1 an, cu otită cronică medie la urechea dreaptă căruia i se efectuează un examen CT cu contrast în plan axial, coronal, în fereastră de os și în ferestră tisulară, nativ si cu administare de contrast.

Imaginile obtinute evidentiaza material tisular și inflamație în atică, în epi și mezotimpan care manșonează lanțul osicular dreapt, cu liză periferică ușoară (figura A, B) cu o discontinuitate a tegumenului timpanic și a osului temporal stâng postero-lateral și o fină priză de contrast a meningelui adiacent (figura C) suspectă de meningită secundară unei recidive de colesteatom la urechea stângă și care trebuie confirmată prin examen IRM pentru a analiza și complicațiile intracerebrale.

Asadar, pacientului i se efectuează o examinare IRM cu secvențe native T2, DWI si FLAIR , precum și T1 cu civ, care evidențiază o recidivă de colesteatom la nivelul urechii stângi (figura A, B si C), precum și prezența unui mic colesteatom care apare în hipersemnal DWI la nivelul urechii dreapte (figura C).

La nivelul parenchimului cerebral se constată prezența unui abces intracerebral temporal stâng, cu importantă restricție de difuzie (figura F) și cu fină priză de contrast periferica, inelară, înalt sugestivă pentru un abces (figura E). Analizând în detaliu imaginile obținute, se constată empiem subdural occipital stâng (figura F) în asociere cu tromboză de sinus sigmoid stâng (figura B) și leptomeningită fronto-temporo-occipitală stângă (fig. B, E).

Caz 3. Pacientă de 64 de ani cu antecedente patologice personale de colesteatom operat în 2014 se prezintă în regim de urgență la spital, la 8 ani dupa procedura chirurgicală, cu suspiciune de recidivă de colesteatom.

Se efectuază un examen CT nativ și cu civ, la care imaginile evidentiază o leziune cu priză de contrast inelară în fosa cerebrală posterioară sugestivă de abces cerebelos stâng, precum și o balonizare și remaniere a porțiunii postero-inferioare a osului temporal stâng (Figu. A, B, C), urmând a se efectua un examen IRM, care să confirme sau să infirme suspiciunea de diagnostic.

Examenul IRM analizat în secvenţa T2 axial, EP DWI, ADC, T1 sagital nativ si cu contrast demonstreaza colecții subdurale cerebeloase stângi cu evidentă restricție de difuzie (figura B), cu hiposemnal ADC (figura C), cu priză de contrast periferică în secvențele T1 Gd sugestivă pentru abces cerebelos și empiem subdural temporal stâng (fig. D și E).

Concluzii

Examinarea CT este eficientă în identificarea distrugerilor osoase și a complicațiilor intracraniene, în timp ce IRM, în special cu secvențe de difuzie ponderată (DWI), ADC si SWI oferă o diferențiere superioară a colesteatomului de alte leziuni inflamatorii otice și evaluează eficient extinderea modificărilor intra și extracerebrale asociate acestuia. Combinarea explorării CT și IRM oferă o evaluare cuprinzătoare și precisă a infecțiilor otice, evaluează gravitatea complicațiilor intracerebrale și datorită sensibilității și specificității lor ridicate sunt deosebit de utile în planning-ul preoperator, cu îmbunătățirea rezultatelor clinice și a calității vieții pacienților.

US - instrument imagistic de decizie medicală

US - imaging tool for medical decision making

Ultrasonografia este o metodă imagistică tot mai frecvent utilizată de specialitățile medicale care asistă urgențele medico-chirurgicale în gardă sau pe secție datorită portabilității, lipsei de iradiere și orientării managementului diagnostico-terapeutic. Din punct de vedere al specialității de medicină de urgență și al terapiei intensive, ultrasonografia a devenit un instrument de examinare clinică, denumit frecvent de tip point of care (POCUS), care este utilizat de cele mai multe ori pentru a reduce timpul până la decizia terapeutică și a răspunde rapid la anumite întrebări clinice. Utilizarea ultrasonografiei devine cu atât mai importantă în momentele în care există presiunea timpului, determinată de deteriorarea pacientului și lipsa resurselor de tip uman sau material pentru efectuarea unei investigații de înaltă rezoluție (computer tomograf, rezonanță magnetică) sau în cazul pacientului dificil de deplasat.

Prezentarea se dorește a fi un minighid de utilizare a ultrasonografiei portabile în practica zilnică pentru colegii care se confruntă la camera de gardă, pe secție, în ambulator sau în cabinet cu situații de urgență și nu au la dispoziție un coleg medic radiolog cu experiență sau nu pot efectua examinări de înaltă rezoluție.

Astfel se identifică mai multe paliere de utilizare a ultrasonografiei integrate în algoritmul clinic de decizie:

A. Identificarea unor leziuni cu impact vital și orientarea terapiei de stabilizare a pacientului critic (șoc, insuficiență respiratorie, politraumă, stop cardio-respirator);

B. Monitorizarea pacienților critici sau stabilizați pentru a ghida managementul terapeutic (VCI, plămân umed, colecții);

C. Orientarea diagnostică în cazul tablourilor clinice paucisimptomatice, nediferențiate (durerea toracică, durerea abdominală, durerea de membru inferior);

D. Diagnosticul ultrasonografic în urgențele medico-chirurgicale (colică renală, biliară, tromboză venoasă, etc.).

E. În situații critice este importantă rapiditatea identificării cauzei deteriorării pacientului și intervenția cât mai precoce pentru a-l stabiliza. Se descriu astfel în literatură numeroase protocoale de asisten-

ță a cazurilor critice. Vom descrie examinările ultrasonografice de impact pe deciziile medicale în cazul pacienților critici.

a. La pacientul hipotensiv sau cu semne clinice de șoc ultrasonografia poate evidenția următoarele elemente utilizând diferite protocoale: RUSH (Rapid Ultrasound for Shock and Hypotension), HI-MAP (Heart – IVC – Morrison – Aorta - Pneumothorax Approach);

1. Aspectul cordului:

I. Cordul redus în dimensiuni, cu aspect al cavităților de „kissing-walls”, pericard fără colecții, hiperkineticaspect sugerând hipovolemie, asociat cu un diametru redus și colaps aproape complet al venei cave inferioare: șoc hipovolemic – decizia imediată de a administra fluide; (fig.1)

II. Cordul de dimensiuni normale sau crescute, cu contractilitate difuz sau segmentar redusă – aspect sugerând afectare miocardică: șoc cardiogen –decizia de a administra cardiotonice, de a reduce postsarcina; (fig.2)

III. Cordul drept crescut în dimensiuni, aspect sugerând hipertensiune pulmonară acută, eventual asociată și evidențierea trombozei venoase: șoc obstructiv – posibil trombembolism pulmonar – administrare de trombolitic; (fig.3)

IV. Colecție pericardică cu semne de tamponadă: șoc obstructiv – necesitatea drenajului pericardic sau a pricardiotomiei de urgență. (fig.4)

2. Aspectul umplerii vasculare

I. Evaluarea dimensiunilor venei cave inferioare în inspir și expir, cu identificarea colapsului inspirator și al reducerii diametrului: hipovolemie –necesită administrare de fluide; (fig.5)

II. Identificarea unei vene cave inferioare destinse, fără colaps inspirator: congestie – necesită coroborat cu aspectul cordului și simptomatologia clinică administrarea de diuretic, cardiotonic sau alte manopere de reducere a presarcinii sau presiunii intratoracice; (fig.6)

III. Identificarea de pierderi de fluide la nivelul seroaselor (pleură, peritoneu), retroperitoneal sau acumulare în tubul digestiv (anse destinse de tip ocluziv): măsuri medico-chirurgicale de limitare a pierderii de fluide. (fig.7)

3. Aspectul conținutului intravascular

I. materialului trombotic flotant (risc de rupere și eliminare în circulație, cu obstrucție la nivel de artere pulmonare): tromboza profundă – inițiere tratament anticoagulant; (fig.8a, 8b)

Conf. Univ. Dr. Adela Golea
UMF Cluj, medic primar medicină de urgență cu competență în ecografie generală, ecocardiografie transtoracică, management sanitar, management de proiect, audit clinic
Fig.1 Cord hipovolemic
Fig. 2 Cord diskinetic
Fig.3 Cord drept dilatat
Fig.4 Tamponadă cardiacă

Fig.8a. Tromboză femurală incompletă;

Fig.10a. Aspect normal laringian, secțiune transversală

Fig.11. Plămân umed – examinare mod B/M

Fig. 14.a. Secțiune subxifoidiană hemopericard - cavități cardiace colabate

b.edem laringian

c. Distanță mento-hioidiană, secțiune longitudinală

Fig. 12. Pneumonie bazală Fig.13. Pleurezie cu atelectazie de compresiune

b. Secțiune în Morrison colecție subhepatic

II. Evidențierea de anevrime de arteră aortă abdominală, cu flap intraluminal, tromboza falsului lumen sau ruptură parietală și colecție retroperitoneală: anevrism/disecție de aortă

c.Secțiune spleno-renală colecție perisplenică

d. Secțiune recto-vezicală colecție cu elemente ecogene

– tratament chirurgical de urgență. (fig.9)

Aspectele expuse reprezintă elemente de examinare rapidă ultrasonografică la patul pacientului care a dezvoltat o stare

de șoc și orientează asupra măsurilor terapeutice imediate de stabilizare, dar și a orientării rapide spre secția care îl poate asista și rezolva cauza șocului.

b. La pacientul cu insuficiență respiratorie

1. Aspectul conductului laringo traheal: permeabil, prezența edemului, a riscului de obstrucție: se ia în considerare intubația orotraheală; asociat se poate aprecia distanța mento-hioidiană (peste 6 cm, sub 4 cm – laringoscopie dificilă, intubație dificilă) pentru a identifica o eventuală intubație dificilă: se are în vedere un plan de intubație dificilă utilizând videolaringoscop, bujie sau fibroscop; (fig.10 a,b,c)

2. Aspectul ultrasonografic al plămânului:

I. Plămân umed – bilateral simetric: edem pulmonar cardiogen ce necesită tratament diuretic, ventilație nonivazivă; (fig.11)

II. Plămân de aspect normal: se caută alte cauze de insuficiență respiratorie;

III. Aspect de bronhopneumonie: administrare de antibiotice, ventilație mecanică adaptată oxigenării. (fig.12)

3. Aspectul pleurei: colecții pleurale masive cu atelectazie de compresiune –drenaj pleural sau chirurgie toracică dacă colecția este septată. (fig.13)

c. La pacientul politraumatizat există protocoale de identificare în trepte a leziunilor cu posibil impact vital:

1. FAST – identificarea colecțiilor peritoneale și pericardice posttraumatice – identifică necesitatea laparotomiei de urgență; (fig.14 a,b,c,d)

2. E-FAST – identificarea pneumotoracelui, a colecțiilor masive pleurale – identifică necesitatea drenajului pleural de urgență și îl poate ghida ultrsonografic; (fig.15)

3. SOT – US (tactical FAST exam) – asociază și elemente de examinare pentru semne de șoc, hipertensiune intracraniană (nerv optic), blocuri nervoase pentru reducerea fracturilor și cuparea durerii: orientează manoperele de imobilizare, drenaj, reducere a pierderilor și orientează asupra necesității și tipului de echipă de traumă necesare pentru un management rapid și optim.

d. La pacientul în stop cardio-respirator în conformitate cu ultimul protocol de resuscitare recomandat de Consiliul

Fig.5 VCI cu colaps peste 50%
Fig.6 VCI normală
Fig.7 VCI destinsă fără colaps
8b. Tromboză poplitee Fig.9. Disecție de aortă cu tromboza falsului lumen

European de Resuscitare este necesar a se efectua ultrasonografie pentru a evidenția cauzele potențial reversibile. Acest tip de examinare este particular deoarece se desfășoară pe parcursul celor 5-10 secunde de pauză a compresiunilor toracice concomitent cu evaluarea ritmului cardiac. Astfel încât se vor înregistra cineloop-uri de 5-10 secunde din fereastra subxifoidiană, toracică cadran supero/inferior stânga/dreapta, intercostal dreapta pentru vena cavă inferioară. Acestea se examinează apoi pentru a identifica semne de: tamponadă, dilatare acută de ventricul drept, lipsa contractilității miocardice, aspectul cavităților cardiace, mișcarea valvelor mitrală/tricuspidiană, aspect de pneumotorace/hemo/hidrotorace masiv cu atelectazie pulmonară, venă cavă inferioară cu colaps peste 50% sau fără colaps inspirator. Toate aceste modificări aduc informații în cascadă după formula

CASA:

1. 2 min CPR – 10 sec: „Tamponade”drenaj sau toracotomie de urgență;

2. 2 min CPR – 10 sec: „Right heart strain” – administrare de trombolitic iv;

3. 2 min CPR – 10 sec: „Cardiac activity” –necesitate trombolitic, admisie spre sala de angiografie pentru terapie intervențională;

4. 2 min CPR – 10 sec: IVC, FAST, E-FAST – necesitate fluide, admisie în sala de operație de chirurgie generală.

Astfel prin examinarea ultrasonografică se identifică unele cauze reversibile de tip 4H (hipovolemie) și 4T (tromboză, tamponadă, penumotorax în tensiune) și se identifcă prezența sau absența contractilități miocardice, aducând beneficii în special în cazul activității electrice fără puls.

B Monitorizarea terapiilor de stabilizare hemodinamică și respiratorie prin utilizarea unor algoritmi:

a. Analiza în dinamică a aspectului venei cave inferioare asociat cu aspectul plămânului: protocolul FALLS (Fluid Administration Limited by Lung Sonography);

b. Indicele de colapsabilitate permite aprecierea responsivității la fluide:

1. Formula DVIVC = 100 x (Dmax –Dmin)/Dmean, unde DV este variabilitatea diametrului, Dmax este diametrul maxim în expir, Dmin este diametrul minim în inspir, Dmean este diametrul mediu; valori peste 12% indică un pacient responsiv la administrarea de fluide;

2. Formula DVIVC = 100 x (Dmax – Dmin)/ Dmin la valori de peste 18% indică un pacient responsiv la administrarea de fluide; 3. În cazul pacienților ventilați se utilizează aria VCI sau indicele de distensibilitate (diametrul crește în inspir); variația ariei peste 36% indică pacienții responsivi la fluide;

4. Diametrul VCI sub 2,1cm, cu un indice de colapsabilitate peste 50% indică o presiune în atriul drept între 0-5 mmHg – presiune scăzută ce necesită creșterea volemiei.

c. Alte elemente ușor de identificat ultrasonografic sunt aria redusă a ventriculului stâng la sfârșitul diastolei, aria LVOT redusă, variația volumului bătaie cu peste 18%, semne ultrasonografice de susținere a hipovolemiei.

d. Aspectul ultrasonografic al plămânului în dianamică este deasemenea important putând aduce informații despre apariția profilului umed ce necesită oprirea reumplerii volemice, identificarea de colecții pleurale, condensări subpleurale sau recrutarea alveolară prin ventilație mecanică. În condițiile ventilației nonivazive, monitorizarea pulmonară ultrasonografică poate ghida nivelul PEEP (presiunii end expiratorii pozitive) în funcție de aspect și să evite apariția barotraumei.

C. Orientarea diagnostică în cazul tablourilor clinice paucisimptomatice, nediferențiate (durerea toracică, durerea abdominală, durerea de membru inferior)

În cazul pacienților cu simptomatologie nediferențiată ultrasonografia poate identifica cauzele durerii sau poate orienta spre alte investigații paraclinice. În special la categoriile de pacienți pediatrici sau geriatrici aceasta ajută la orientare rapidă a managementului diagnostico terapeutic și excluderea unor patologii cu posibilă evoluție nefavorabilă. Astfel ultrasonografic se pot identifica în:

a. Durerea toracică: colecțiile pericardice, pleurale, focare pneumonice, modificări pleurale, diskinezii ale contractilității miocardice – se orientează investigațiile;

b. Durerea abdominală: patologie biliară, modificări de tub digestiv de tip inflamator (diverticulită, apendicită), anevrism de aortă, aspect sugestiv de ocluzie intestinală, chist ovarian rupt, formațiuni tumorale, etc. - se orientează investigațiile sau se iau decizii terapeutice și se dau dispoziții de internare;

c. Durerea de membru: tromboză arterială sau venoasă, colecții articulare, etc. - se orientează investigațiile sau se iau decizii te-

rapeutice și se dau dispoziții de internare și intervenție rapidă.

D. Diagnosticul ultrasonografic în urgențele medico-chirurgicale (colică renală, biliară, tromboză venoasă, etc.) este cel mai frecvent, rapid și permite indicația terapeutică imediată evitând de cele mai multe ori complicațiile. Este important a se evidenția în:

a. Colica renală – obstrucția ureterală asociată cu hidronefroză care necesită terapie de urgență urologică de dezobstrucție;

b. Colica biliară – colecistita acută, hidropsul vezicular și obstrucția coledociană cu distensia căilor biliare intrahepatice – situații în care este necesară terapia intervențională și chirurgicală de urgență pentru a evita complicațiile;

c. Tromboza venoasă a membrelor inferioare în cazul edemului asimetric – identificarea acesteia necesită măsuri de limitare a riscului de trombembolism pulmonar, cu administrarea de terapie anticoagulantă.

Se observă astfel că este important pentru medicii specialiști din camerele de gardă sau sistemul de urgență să recunoască aspectul ultrasonografic al stărilor critice sau anumitor patologii medico-chirurgicale care necesită identificare rapidă pentru o terapie precoce, evitarea apariției complicațiilor și implicit creșterea calității actului medical, cu reducerea zilelor de internare, inclusiv a celor de terapie intensivă. Inițierea trainingului în utilizarea POCUS la nivelul instituțiilor medicale din zonele rurale, izolate sau cu resurse imagistice reduse aduce o plus valoare asistenței medicale, cu impact major pe decizia de management, oferind soluții diagnostico-terapeutice optime și transfer precoce spre centre medicale avansate.

Bibliografie:

5. Jamie E. C. Vander Ende, Ryan A. Labossiere, Joshua Lawson. Utilisation and barriers of PoCUS in a rural emergency department – A quality improvement project. Can J Rural Med 2023;28(4):172-178. DOI: 10.4103/cjrm.cjrm_90_22.

6. Mohammad Amin Zare, Alireza Bahmani, Marzieh Fathi, Marieh Arefi, Armaghan Hossein Sarbazi, Mahrokh Teimoori. Role of point-of-care ultrasound study in early disposition of patients with undifferentiated acute dyspnea in emergency department: a multi-center prospective study. Journal of Ultrasound (2022) 25:443–449. https://doi.org/10.1007/ s40477-021-00582-y.

7. Wook Jin Choi, Young-Rock Ha, Je Hyeok Oh, Young Soon Cho, et all. Clinical Guidance for Point-of-Care Ultrasound in the Emergency and Critical Care Areas after Implementing Insurance Coverage in Korea. Korean Med Sci. 2020 Feb 24;35(7): e54. doi.org/10.3346/ jkms.2020.35. e54.

8. Eduardo R. Argaiz, Abhilash Koratala, Nathaniel Reisinger. Comprehensive Assessment of Fluid Status by Point-of-Care Ultrasonography. Kidney360. 2021; 2: 1326–1338. doi. org/10.34067/KID.0006482020.

9. Teri Ann Reynolds, Stas Amato, Irene Kulola, Chuan-Jay Jeffrey Chen, Juma Mfinanga, Hendry Robert Sawe. Impact of point-of-care ultrasound on clinical decision-making at an urban emergency department in Tanzania. PLoS ONE 13(4): e0194774. doi.org/10.1371/ journal.pone.0194774.

10. Davendra Vishaul Kissoon, Sri Devi Jagjit, Brian D. Bales, Zelda Luke-Blyden, Jeremy S. Boyd, Jordan D. Rupp. Observational descriptive study of ultrasound accident and emergency department at Georgetown public hospital corporation. PLoS ONE. 2020; 15(5): e0233379. doi.org/10.1371/journal. pone.0233379.

11. Sofia Furtado, Luis Reis. Inferior vena cava evaluation in fluid therapy decision making in intensive care: practical implications. Rev Bras Ter Intensiva. 2019;31(2): 240-247.

12. Pierpaolo Di Nicolò, Guido Tavazzi, Luca Nannoni, Francesco Corradi. Inferior Vena Cava Ultrasonography for Volume Status

13. Evaluation: An Intriguing Promise Never Fulfilled. J. Clin. Med. 2023; 12, 2217: 1-13. doi.org/10.3390/jcm12062217.

14. Ali Abdolrazaghnejad, Mohsen Banaie, Mohammad Safdari. Ultrasonography in Emergency Department; a Diagnostic Tool for Better Examination and Decision-Making. Advanced Journal of Emergency Medicine. 2018; 2(1): e7: 1-13. DOI: 10.22114/ajem.v0i0.40.

Construim excelența în imagistică medicală

Abia așteptăm să ne cunoaștem.

Contact: Adela Bărbulescu, HR Manager

Email: adela.barbulescu@medima.ro jobs@medima.ro

Medima, rețea națională de clinici de înaltă calitate în imagistică medicală, se remarcă prin investițiile continue în tehnologie de ultimă generație și prin angajamentul față de excelența medicală.

Mediu de învățare ideal

Cu o echipă dedicată de specialiști, coordonată de Prof. Univ. Dr. Gheorghe Iana și un mediu de lucru colaborativ, oferim oportunități de creștere profesională și dezvoltare, întrun cadru modern și dinamic. Susținem formarea continuă și oferim acces la resurse de ultimă generație. Astfel, ne asigurăm

că fiecare membru al echipei își poate atinge potențialul maxim într-un cadru de excelență profesională.

Echipă de profesioniști

Printre medicii supraspecializați de elită, amintim de:

Conf. Dr. Ana Magdalena Bratu, Dr. Ciprian Istode, Șef lucrări

Dr. Alina Nicula, Șef lucrări Dr. Andreea Marinescu, Dr. Liana Păuna-Cristian, Dr. Bogdan Tudose, Conf. Dr. Ștefănescu Victorița, Dr. Eddan Athir, Dr. Alexandra Vlădescu, Dr. Mihaela Dragomir, Dr. Iulia Sălcianu, Dr. Ioana Anghel, Dr. Mihaela Andrei, Dr. Silviu Dan Crainic,

Dr. Irina Manea, Dr. Liviu Hîțu, Conf. Dr. Nicolae Sârbu, Dr. Gabriela Iancu.

Parcurs profesional către excelență medicală

Accesul la tehnologie de imagistică avansată, inclusiv RMN, CT și PET-CT de ultimă generație, combinat cu oportunitatea de a lucra într-o echipă multidisciplinară, alături de experți recunoscuți, reprezintă o fundație solidă pentru excelența medicală. Această sinergie între tehnologie și colaborare profesională creează un mediu propice inovației și dezvoltării continue.

Îmbunătățește-ți practica prin tehnologii performante

Furnizor de soluții complete în ecografie

Integrând tehnologii de ultimă generație, Focus & Fusion se angajează să ofere medicilor soluții profesionale pentru un diagnostic precis. Ecografele noastre combină o calitate uimitoare a imaginii cu funcții versatile și fluxuri de lucru inteligente, asigurând astfel acuratețea și eficiența diagnosticării. În plus, paleta extinsă de sonde permite examinarea pacienților din diferitele secții ale spitalelor.

Funcții avansate

Oferim o serie de funcții avansate cum ar fi Elastografia, MFI, Ecografia cu substanță de contrast, eBiopsy+ și Imagistica Panoramică, precum și instrumente inteligente pentru a îmbunătăți eficiența, cum ar fi optimizarea automată, funcția de mărire și fZoom.

Puternic și versatil

I Tehnologie SNS+

I 16x formare fascicul

I Hi Flow

I Monitor High-Definition 21,5”

I Touch Sreen 13,3”

I Sondă Single Crystal

I Baterie internă

Mobilitate supremă, Performanță superbă

Tehnologia de formare a fasciculului multiplu și algoritmul adaptiv pentru fluxul sanguin garantează o performanță excelentă a imaginii.

Suprimarea zgomotului de tip Speckle netezește țesutul și crește claritatea imaginilor.

Tehnologia anti-interferențe asigură stabilitatea transmisiei semnalului.

Tehnologia unică a sondelor îmbunătățește durata de viață a acestora și oferă o calitatea stabilă a imaginii.

Platformă avansată Paletă extinsă de sonde

Single Crystal

Compatible

High Resolution

Anti-Attenuation

Eleganță și excelență

I Tehnologie SNS+

I 16x formare fascicul

I Hi Flow

I Monitor High-Definition 15,6”

I 3 porturi suplimentare

I Sondă Single Crystal

I Baterie suplimentară în cărucior

I Monitor High-Definition 21,5”

I Porturi poziționate oblic

I Sondă Single Crystal

I Înălțime minimă 80cm

I 3h scanare continuă

I Logare cu amprentă

I Încărcare wireless fCharge

Fiabil și inteligent

I Tehnologie SNS+

I Hi Flow

I Monitor High-Definition 15,6”

I Carcasă din magnaliu

I 3 porturi extinse

I Baterie suplimentară în cărucior

I Aplicații cuprinzătoare

B-dul L. Rebreanu 104 300755 Timișoara o ce@neologis.ro www.neologis.ro 0356 171 702

Turn static files into dynamic content formats.

Create a flipbook
Issuu converts static files into: digital portfolios, online yearbooks, online catalogs, digital photo albums and more. Sign up and create your flipbook.
Medical Market - Radiologie și Imagistică medicală 2024 by Fin Watch - Issuu