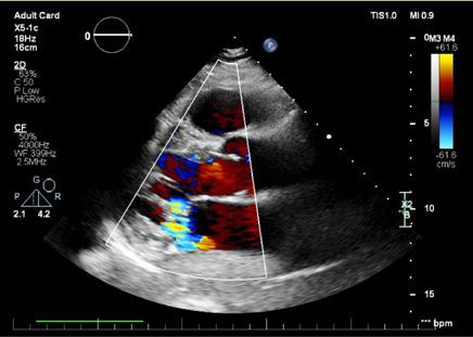
Medical Market - Cardiologie 2025

Page 1


Prof. Univ.

Dr. Ovidiu Chioncel

Președinte al Societății Române de Cardiologie

Prof. Univ.

Dr. Daniel Lighezan

UMF „Victor Babeș” Timișoara, Sp. Clinic Municipal de Urgență Timișoara

Conf. Univ.

Dr. Roxana Dana Buzaș

UMF „Victor Babeș” Timișoara, Sp. Clinic Municipal de Urgență Timișoara

Col. Șef Lucrări

Dr. Alice Munteanu

Facultatea de Medicină, Univ. “Titu Maiorescu“, SCUMC „Dr. Carol Davila” București

Prof. Univ. Dr. Cătălina Arsenescu Georgescu

UMF ”Grigore T. Popa” Iași

Prof. Univ.

Dr. Lucian Dorobanțu

Facultatea de Medicină, Univ. „Titu Maiorescu“, Spitalul Nord Pipera – Grupul Medical Provita, București

Prof. Univ.

Dr. Florin Mihălțan

UMF ‘’Carol Davila’’ București

Conf. Univ. Dr. Angela Butnariu

Cabinet Pediatrie-Cardiologie, Cluj-Napoca

Dr. Claudiu Stoicescu

Cardiologie

din Sănătate • 2025 - 2026 • Publicație creditată B+ conform

250 ULS capsule moi

600 ULS/2 ml soluție injectabilă

Spitalul Universitar de Urgență București, CorePrime Clinic

Acest material promoţional este destinat profesioniştilor din domeniul sănătăţii. Pentru informaţii suplimentare vă rugăm să consultaţi rezumatul caracteristicilor produsului complet, disponibil la cerere sau pe site-ul www.anm.ro. Vessel Due F® 250 ULS capsule moi - o capsulă moale conţine sulodexid 250 ULS (unităţi lipasemice sulodexid). Administrare orală. Medicament eliberat pe bază de prescripţie medicală – P6L. Vessel Due F® 600 ULS/2ml soluţie injectabilă - 2 ml soluţie injectabilă conţin sulodexid 600 ULS (unităţi lipasemice sulodexid). Administrare im/iv. Medicament eliberat pe bază de prescripţie medicală – PRF. Profesioniștii din domeniul sănătăţii sunt rugaţi să raporteze orice reacţie adversă suspectată sau reclamaţie cu privire la acest produs la adresa de e-mail: Drugsafety.alfasigma@addenda.ro sau la Agenţia Naţională a Medicamentului și a Dispozitivelor Medicale din România, www.anm.ro. DAPP Alfasigma - S.p.A.

Alfasigma România S.R.L. str.

5 ani de Campanie SANATATEA SOMNULUI

Somnul tau. Sanatatea ta. Viata ta.

v·t LA. � 1 a ire

De ce este importanta colaborarea medicala dintre pneumologie ,i cardiologie pentru gestionarea riscului de apnee in somn?

CAMPANIA SANATATEA SOMNU LUI a aparut din dorinta de a crea o colaborare interdisciplinara pentru pacientii cu rise de sindrom de apnee in somn.

Colaborarea medicala intre pneumologie $i cardiologie este cruciala pentru gestionarea apneei in somn datorita relatiei bidireqionale semnificative dintre apneea in somn $i sanatatea cardiovasculara. Pneumologii $i cardiologii pot Luera Tmpreuna pentru a identifica, diagnostica $i trata eficient ambele afectiuni, reducand riscul complicatiilor cardiovasculare asociate cu apneea Tn somn.

De ce consideram ca este eseniiala colaborarea medicala interdisciplinara pentru gestionarea riscului de apnee in somn?

1. Factori de rise comuni �i comorbiditaii:

• Apneea obstructiva in somn (SASO) �i bolile cardiovasculare:

SASO este un factor de rise cunoscut pentru diverse boli cardiovasculare, inclusiv hipertensiune arteriala, boli coronariene, insuficienta cardiaca $i accident vascular cerebral.

• Hipertensiunea pulmonara (HP):

SASO poate duce la HP, o afeqiune grava care afecteaza inima �i plamanii �i este, de asemenea, un punct central al colaborarii dintre cardiologie $i pneumologie.

• Overlap Syndrome - Sindromul de suprapunere: Pacientii cu afectiuni precum BPOC pot avea $i SASO, creand ,,Overlap Syndrome" cu riscuri crescute de hipertensiune pulmonara $i hipercapnie.

2. Fiziopatologie interconectata:

• Hipoxemia �i stresul cardiovascular: Hipoxemia asociata cu sindromul de apnee in somn de tip obstructiv (SASO) pune presiune asupra sistemului cardiovascular, putand duce la insuficienta cardiaca, aritmii $i alte complicatii.

• lnflamaiie �i disfunciie endoteliala: Atat sindromul de apnee Tn somn de tip obstructiv (SASO), cat �i bolile cardiovasculare pot declan�a raspunsuri inflamatorii �i disfunctie endoteliala, crescand �i mai mult riscul cardiovascular.

• Activitate simpatica crescuta: SASO poate duce la o activitate crescuta a sistemului nerves simpatic, contribuind la hipertensiune arteriala �i alte probleme cardiovasculare.

3. Diagnostic �i tratament imbunataiite:

• Management integrat: Colaborarea medicala pneumologie-cardiologie permite o abordare holistica a tratamentului, asigurand ca atat SASO, cat $i problemele cardiovasculare sunt abordate concomitent.

• Terapia CPAP: Terapia cu presiune pozitiva continua Tn caile respiratorii (CPAP), un tratament comun pentru apneea obstructiva Tn somn (SASO), s-a dovedit a imbunatati sanatatea cardiovasculara prin reducerea tensiunii arteriale, Tmbunatatirea funqiei cardiace $i scaderea activarii plachetelor, potrivit lnstitutului National de Sanatate din SUA (sl).

• Planuri de tratament optimizate: Medicii pneumologi $i cardiologi pot adapta planurile de tratament la nevoile specifice ale fiecarui pacient, luand Tn considerare atat apneea Tn somn, cat �i riscurile cardiovasculare.

In concluzie, colaborarea dintre medicii din specialitati[e de pneumologie �i cardiologie este vitala pentru gestionarea apneei in somn, din cauza riscurilor cardiovasculare semnificative asociate cu aceasta afectiune. Prin colaborare, ace�ti medici speciali$ti pot Tmbunatati detectarea precoce, pot optimiza planurile de tratament $i, in cele din urma, pot reduce povara bolilor cardiovasculare la persoanele cu apnee Tn somn.

Surse: The Effects of Obstructive Sleep Apnea on the Cardiovascular System: A Comprehensive Review

Michael V Dicaro 1, KaChon Lei 1, Brianna Yee 1, Tahir Tak 1, *

Credit photo: Canva

Inflamația și ateroscleroza

As. Univ. Dr. Ciprian Rachieru, Prof. Univ. Dr. Daniel-Florin Lighezan, As. Univ. Dr. Vlad Sabin Ivan, As. Univ. Dr. Paul Gabriel Ciubotaru, Conf. Univ. Dr. Cristian Andrei Sarău, Conf. Univ. Dr. Roxana Dana Buzaș

ABCC9, BAG3, CACNA1C, ..., ZIC3 - un altfel de alfabet?

Dr. Maria Stratan, Dr. biolog Andreea Țuțulan-Cuniță

Sindromul cardio-reno-metabolic – o nouă paradigmă integrată în prevenția și tratamentul bolilor cardiovasculare

Col. Șef Lucrări Dr. Alice Munteanu, Dr. Enache Cioc 20

Hipertensiunea arterială și apneea în somn în practica curentă

As. Univ. Dr. Dragoș Marcu, Prof. Univ. Dr. Cătălina Arsenescu Georgescu

Cardiologul în fața obezității: risc, responsabilitate, intervenție

Dr. Claudiu Stoicescu

Țigara electronică și implicațiile cardiovasculare

Prof. Univ. Dr. Florin Mihălțan

Cazuri disperate în chirurgia cardiacă –atunci când abordul minim invaziv este soluția

Dr. Ion Iovu, Prof. Univ. Dr. Lucian Dorobanțu, Dr. Andreea Bogdan, Dr. Ioana Băjenaru, Dr. Oana Ioniță, Dr. Mădălina Cojocaru, Dr. Toma Iosifescu, Conf. Dr. Cătălin Badiu, Dr. Alexandru Vasilescu

Sincopa pediatrică și semnificația ei

Conf. Univ. Dr. Angela Butnariu, Dr. Alexandru Munteanu

Copierea fără acordul scris al editurii a oricăror elemente de grafică sau conținut editorial apărute în revistele editurii sunt considerate furt de proprietate intelectuală și intră sub incidența legii. Trimite email pe adresa redactie@finwatch.ro, solicită un abonament la revista Medical Market şi primeşti 10 puncte EMC.

Spitalul

ARTEROPROTECT

COLESTEROL

1 capsulă /zi

EFECT DE 5 ORI ASIGURAT

PENTRU UN COLESTEROL ECHILIBRAT

coagulării normale a sângelui Ajută la menţinerea:

echilibrului colesterolului HDL/LDL

tensiunii arteriale normale

nivelului normal de colesterol

Stimați colegi,

În numele Consiliului de Conducere al Societății Române de Cardiologie, avem deosebita onoare de a vă invita să luați parte la cea de-a 64-a ediție a Congresului Național de Cardiologie, cel mai important eveniment științific al comunității noastre profesionale!

Sinaia, oraș-simbol al cardiologiei românești, va găzdui între 17-20 septembrie 2025 Congresul Național de Cardiologie, manifestare de referință, dedicată schimbului de idei, consolidării cunoștințelor și progresului științific. Tema centrală a ediției din acest an – Hipertensiunea Arterială – reflectă o provocare majoră pentru sănătatea publică și pentru practica medicală curentă. Rămâne o cauză principală de morbiditate și mortalitate cardiovasculară, iar înțelegerea și controlul său eficient sunt esențiale în lupta noastră pentru prevenție și tratament optim.

Programul științific este dens și variat, reunind experți din țară și din străinătate, sesiuni interdisciplinare, cursuri dedicate tinerilor cardiologi și evenimente realizate împreună cu partenerii din industrie. Este un prilej de reflecție asupra rolului esențial al cardiologiei în medicina contemporană, dar și un moment de coeziune profesională și umană.

Societatea Română de Cardiologie continuă să evolueze prin efortul comun al membrilor săi, prin colaborările dintre centrele universitare și prin implicarea activă a noii generații de cardiologi. Congresul Național este expresia acestui efort colectiv, o celebrare a științei, a educației și a devotamentului față de pacient.

Vă așteptăm cu căldură la Sinaia, pentru a scrie împreună încă o pagină de excelență în istoria cardiologiei românești.”.

Cu cele mai bune gânduri, În perioada 17-20 septembrie se desfășoară cea de-a 64-a ediție a Congresului Național al Societății Române de Cardiologie, eveniment de o înaltă ținută științifică, profesională, organizatorică. Vă prezentăm mai jos invitația conducerii Societății Române de Cardiologie.

Prof. Univ. Dr. Ovidiu Chioncel

Președinte al Societății Române de Cardiologie

Dr. Iulia Kulcsar

Secretar al al Societății Române de Cardiologie

Din 2008 suntem alături de suntem alături de profesioniștii din profesioniștii din cardiologie cardiologie

Consultanță și expertiză de top pentru configurarea soluției optime adaptate cerințelor activității tale

Portofoliu variat de produse

Livrare, instalare, instruire, service acreditat ANMDM pentru aparatură medicală și mentenanță de 5 stele în garanție și post-garanție

Strălucește în orice rol și la orice vârstă

Cu o formulă special concepută din aminoacizi esenţiali și vitamina B12, TONOTIL-N susţine concentrarea și rezistenţa la stres, crește tonusul și grăbește recuperarea la copii, adulţi activi și vârstnici!

Pulbere și soluție pentru soluție orală L-fosfotreonină, L-glutamină, clorură de hidroxocobalamină, L-fosfoserină, clorhidrat de arginină

SINGURA COMBINAȚIE DE AMINOACIZI ȘI VITAMINA B12 ÎNREGISTRATĂ CA MEDICAMENT

Referinţă: 1. Rezumatul Caracteristicilor Produsului

Acest medicament se poate elibera fără prescripție medicală. Se recomandă citirea cu atenție a prospectului sau a informațiilor de pe ambalaj. Dacă apar manifestări neplăcute, adresați-vă medicului sau farmacistului. Medicamentele expirate și/sau neutilizate se consideră deșeuri periculoase.

Strălucește în orice rol și la orice vârstă

Cu o formulă special concepută din aminoacizi esenţiali și vitamina B12, TONOTIL-N susţine concentrarea și rezistenţa la stres, crește tonusul și grăbește recuperarea la copii, adulţi activi și vârstnici!

Pulbere și soluție pentru soluție orală

L-fosfotreonină, L-glutamină, clorură de hidroxocobalamină, L-fosfoserină, clorhidrat de arginină

DENUMIREA COMERCIALĂ

A MEDICAMENTULUI

Indicat în stări de convalescenţă1:

• După inter venţii chirurgicale

• Ca tonic în stări de slăbiciune, anorexie, anemie, surmenaj fizic și intelectual (fenomen de Burnout)

• După evenimente vasculare acute

• În dereglări metabolice și ca adjuvant în terapia angiovasculară

Asigură supor tul organismului în boli cronice1:

• Reglează metabolismul celular (toate maladiile sunt cauzate de disfuncţii ale metabolismului celular)

• În boli neurologice

• În boli cardiovasculare

• Determină sinteza mediatorilor chimici

SINGURA COMBINAȚIE DE AMINOACIZI ȘI VITAMINA B12 ÎNREGISTRATĂ CA MEDICAMENT

Chirurgie:

TONOTIL-N pulbere şi soluţie pentru soluţie orală

COMPOZIŢIA CALITATIVĂ ŞI CANTITATIVĂ

Pulbere pentru soluţie orală (conţinută în dop)

170 mg pulbere pentru soluţie orală conţin

L-fosfotreonină 20 mg,

Este un tonic pentru organism; se recomandă în convalescenţă după intervenţii chirurgicale

Oftalmologie:

Acest medicament se poate elibera fără prescripție medicală. Se recomandă citirea cu atenție a prospectului sau a informațiilor de pe ambalaj. Dacă apar manifestări neplăcute, adresați-vă medicului sau farmacistului. Medicamentele expirate și/sau neutilizate se consideră deșeuri periculoase.

L-glutamină 75 mg, clorură de hidroxocobalamină 0,5 mg

Soluţie orală (conţinută în flacon)

10 ml soluţie orală conţin L-fosfoserină 60 mg, clorhidrat de arginină 150 mg

Excipient cu efect cunoscut: sorbitol (E 420)

Pentru lista tuturor excipienţilor, vezi prospectul FORMA FARMACEUTICĂ

Pulbere şi soluţie pentru soluţie orală

Soluţie: limpede, de culoare roşu-cireaşă, cu miros plăcut, caracteristic de vişine şi gust dulce

Pulbere: granulată, de culoare albă

DATE CLINICE

Indicaţii terapeutice Tonotil N este indicat în stări patologice, de exemplu: boli somatice şi psihice, demenţă senilă, boli în care intervine o disfuncţie în metabolismul neuronal Tonotil N stimulează activitatea cerebrală, producerea de energie şi posibilităţile de utilizare a oxigenului la nivel celular Tonotil N completează componentele biologice celulare deficitare fără să genereze produşi de degradare Tonotil N este folosit ca tonic în stări de slăbiciune, anorexie şi în convalescenţă Datorită indicaţiilor de mai sus Tonotil N poate fi administrat în următoarele "Specialităţi Medicale":

Pediatrie:

Retardare psihosomatică, convalescenţă, anorexie, oboseală în urma unui efort intelectual prelungit Medicină internă: Surmenaj fizic şi intelectual, convalescenţă, stări de slăbiciune (anemie, anorexie)

Geriatrie:

Depresie senilă sau demenţă senilă, dereglări psihosomatice ale vârstei a III-a, în pierderea memoriei la persoane vârstnice, în scăderea performanţelor intelectuale, în dereglări metabolice şi ca adjuvant în terapia angiovasculară

Neurologie:

Tensiuni nervoase, oboseală asociată cu administrarea de medicam

Oboseală oculară, miopie progresivă, boli ale retinei datorate dereglărilor metabolice, irigare sangvină deficitară la nivel ocular, ambliopie datorată fumatului, atrofia nervului optic, şi ca

aditiv în tratamentul combinat cu medicaţie anticataractă, pentru a preveni cataracta senilă (datorită efectelor asupra reglării metabolismului celular şi aprovizionării organismului cu aminoacizi esenţiali)

Obstetrică-ginecologie:

Convalescenţă, tensiune nervoasă, slăbiciune, climacteriu

Ortopedie-traumatologie:

Ca un tonic al organismului şi ca un tonic pentru pacienţii ce urmează a fi operaţi Convalescenţă

(după intervenţii chirurgicale, traumatisme, etc )

Medicină sportivă

Recuperarea psihosomatică a atleţilor

DOZE ŞI MOD DE ADMINISTRARE

Se îndepărtează sigiliul de metal al flaconului, prin extragere Apoi se împinge dopul roşu în aşa fel încât să se golească conţinutul acestuia în partea lichidă din flacon Se agită bine flaconul

Se înlătură dopul şi se transvazează conţinutul

flaconului într-un pahar

Tonotil N este uşor de administrat şi are gust plăcut

Se poate dilua cu apă

Tonotil N poate fi administrat şi la diabetici, deoarece

nu conţine zahăr Soluţia se administrează imediat după constituire

Adul ţi: doza recomandată este de 1-2

flacoane dimineaţa, înainte de micul dejun

Copii: doza recomandată este de 1 flacon dimineaţa, înainte de micul dejun

CONTRAINDICAŢII Hipersensibilitate la substanţele active sau la oricare dintre excipienţi Tumori maligne, stări neoplazice datorită prezenţei hidroxocobalaminei Pentru mai multe amănunte, citiţi cu

NŢIONĂRI

insuficienţă renală sau hepatică severă sau cu acidoză metabolică sau la pacienţii cu tulburări ale metabolismului aminoacizilor. Deoarece conţine sorbitol, pacienții cu afecțiuni ereditare rare de intoleranță la f ructoză, nu trebuie să utilizeze acest medicament

Interacţiuni cu al te medicamente şi al te forme de interacţiune

Nu s-au efectuat studii privind interacţiunile. Fertilitatea, sarcina şi alăptarea Tonotil N poate fi administrat în timpul sarcinii și în perioada de alăptare.

Efecte asupra capacităţii de a conduce vehicule şi de a folosi utilaje

Tonotil N nu influenţează capacitatea de a conduce vehicule sau de a folosi utilaje. Reacţii adverse

Reacţii alergice în cazul hipersensibilităţii la unul dintre componenţii produsului.

Raportarea reacțiilor adverse

Dacă manifestaţi orice reacţii adverse, adresaţi-vă medicului dumneavoastră sau farmacistului. Acestea includ orice reacţii adverse nemenţionate în acest prospect. De asemenea, puteţi raporta reacţiile adverse direct prin intermediul sistemului naţional de raportare, ale cărui detalii sunt publicate pe web-site-ul

Agenţiei Naţionale a Medicamentului şi a Dispozitivelor Medicale http: //www anm.ro/ Raportând reacţiile adverse, puteţi contribui la furnizarea de informaţii suplimentare privind siguranţa acestui medicament Supradozaj

Nu au fost raportate cazuri de supradozaj.

DEŢINĂTORUL AUTORIZAŢIEI

DE PUNERE PE PIAŢĂ: VIANEX S.A

8, Varibobi street, Nea Erythraia, 146 71 Kifisia, Greece

Distribuitor/Reprezentant: S C. IMEDICA S A Șoseaua București – Ploiești nr. 141 D, sector 1, București

Tel: 021 301 70 10; 20; 30 / Fax: 021 319 77.51 office@imedica.ro / www.imedica.ro NUMĂRUL AUTORIZAȚIEI DE PUNERE

PE PIAȚĂ: 9360/2016/01

VIZĂ DE PUBLICITATE: 6351/02 04 2024 Acest material promoțional este destinat profesioniștilor din domeniul sănătății.

Inflamația și ateroscleroza

As. Univ. Dr. Ciprian Rachieru1,2,3,

Prof. Univ. Dr. Daniel-Florin

Lighezan1,2,3,

As. Univ. Dr. Vlad Sabin Ivan1,2,3,

As. Univ. Dr. Paul Gabriel Ciubotaru1,2,3,

Conf. Univ. Dr. Cristian

Andrei Sarău1,2,3,

Conf. Univ. Dr. Roxana

Dana Buzaș1,2,3

1 Department of Internal Medicine I, Faculty of Medicine, “Victor Babes” University of Medicine and Pharmacy, Timisoara, Romania

2 Department of Internal Medicine, Municipal Emergency Hospital, Timisoara, Romania

3 Center for Advanced Research in Cardiovascular Pathology and Hemostaseology, “Victor Babes” University of Medicine and Pharmacy, Timisoara, Romania

Abstract

The phenomenon of endothelial dysfunction – starting from the vascular endothelium and up to the working myocardium of the heart, consist, first of all, in a systemic inflammation, appearing both on a predetermined genetic background and on an epigenetic one, due to the biological compromise of man – sedentary lifestyle, irrational diet, smoking, excess alcohol, lack of mental hygiene, etc., even from the first years of life, and the accumulation of endothelium-cardio-metabolic cardiovascular risk, represented by hypertension – especially through the hyperexpression of Angiotensin II – familial or acquired dyslipidemia, type 1 diabetes mellitus and especially 2, obesity. The turntable of this phenomenon, of endothelial inflammation, is precisely the appearance of the most typical endothelial morphological lesion, often even at the level of benign lipid striae, present since the 7th or 8th year of life, in individuals prone to atherosclerosis – atheroma plaque. Classically, the typical lesion is described, inflamed plaque, „warm” (and literally), rich in aggressive lipids (small, dense and oxidized

fractions of LDL cholesterol and not only) and generating, through the fight of macrophages with toxic lipids, a rich necrotic core, pushed towards the arterial lumen, which leads to dissection and hemorrhage in the plaque, and, consequently, complete or incomplete occlusive thrombosis. Blood involvement - chemotactic accentuation of monocytes and helper and killer T lymphocytes, but also platelets accentuate and accelerate inflammation and plaque degeneration. Due to lipid-lowering therapy with potent statins, in maximum tolerated doses, also proving pleiotropic, i.e. anti-inflammatory, effects associated with antiplatelet agents, more frequently acetylsalicylic acid (ASA), this model of vulnerable, warm, active, hyperlipidic plaque has been, to a large extent, replaced by another evolution – the „cold”, hypolipidic plaque, covered by a fibrous cap, a lesion that can also generate ischemia, but not by dissection but by superficial erosion and distal embolization of fibro-calcareous detritus. An important study, published in 2025 in the EHJ, on the population of Stockholm, between 2007 and 2021, comprising 84,399 adults with cardiovascular pathology, systemic inflammation was documented in 3 out of 5 patients, in whom the evolution and mortality were accelerated and respectively higher than in those without this risk association. Many of the cases are due to a genetic predisposition. For example, the mononucleotide polymorphism rs10754555, in an intronic region of the NLRP3 gene, is associated with increased levels of NLRP3 mRNA, respectively with increased systemic inflammation and with a higher risk of cardiovascular disease in people under 60 years of age, in the presence of high levels of apolipoprotein C3 (ApoC3), triglycerides (TG) or uric acid, having indirect or direct signals in serum – CRPhs, serum amyloid A and interleukin 1, 6 and 8. Inflammasomes are intracellular receptors for recognizing innate immunity patterns, which detect cell damage and respond to it by initiating inflammation. Usually, the cells require priming to initiate inflammation.

There are reliable systemic inflammatory markers for the recognition of aggressive endothelial inflammation, some early detectable, others later. For example, interleukin 8 is earlier than types 1 and 6. CRPhs, although ubiquitous, is less specific, slower in onset and faster in normalization after an acute ischemic event. On the other hand, in addition to the directly acting lymphocytokines already specified, MCP 1, TNF α, Interferon β 1, soluble vascular adhesion molecules (VCAM-1), phospholipase A2 associated with circulating lipoproteins (FLPA2), IGF-1 (Insulin Like Growth Factor-1), soluble molecules of Selectin-E and –P, glycation end products (PFG), blood level of NO and, respectively, increase in serum peroxynitrite content (ONOO-), interaction product between NO and superoxide anion – are very reliable. More recently, the role of a new reliable marker of inflammation has also been proven - autoantibodies (aAbs) against CXC-motif-chemokine receptor 3 (CXCR3). We have specified the role of indirect anti-inflammatory agents – statins in maximum tolerated doses + ezetimibe, antiplatelet agents, but also new lipid-lowering agents, anti-PCSK9 monoclonal antibodies (alirocumab, evlocumab), and anti-PCSK9 receptor (Inclisiran). In the last decade, the major role of lipoprotein(a) and apolipoprotein B in triggering and accelerating the atherolerotic process has been observed. These other increased lipid fractions have demonstrated a significant inflammatory impact. Promising oligonucleotide molecules (ASOs) and small interfering RNA (siRNA) molecules such as Pelacarsen, Olpasiran, Zerlasiran, Lepodisiran and Muvalaplin are in advanced stages of study. A relatively good effect, but below the level of the first quotes is also Niacin and Evolocumabul. Studies with first-line systemic endothelial anti-inflammatory drugs, Colchicine studies (LODOCO II, COLCOT and CLEAR 16), in secondary prevention, also had an impact. The first two had promising results, the last one, on acute coronary syndrome, not exactly. There is also a contingent of patients who

are digestively intolerant to this drug. There is no consensus, at the moment, nor the introduction of colchicine in the guidelines. Other anti-inflammatories tested were Canakinumab (interleukin 1β inhibitor), in the CANTOS study, Anakinra (interleukin inhibitor 1), in the VIRGINIA COMMONWEALTH UNIVERSITY ANAKINRA REMODELLING TRIAL 38, and Ziltivekimabul (anti-IL-6 ligand), in the RESCUE study. Only the last one showed a favorable efficiency/safety ratio, the first 2 showed a relatively high risk of severe infections, as an important adverse effect. There is, therefore, enough controversy regarding the routine administration, in secondary prevention, of these remedies. A promising antiatherosclerotic effect has also been demonstrated by Semaglutide (GLP1 agonist), and even SGLT2 inhibitors – in this case Empagliflozin. The latest studies also show the involvement of TNFSF-14, IL-6 and IL18 in the pathogenesis and maintenance of persistent atrial fibrillation (PeAF). In addition, it identifies β-NGF and TGF-α as potential participants in the pathogenesis and/or maintenance of PeAF locally in the atria. Finally, heart failure confirms an important participation of inflammation, which is, in principle, the final stage of endothelial inflammatory dysfunction. Inflammatory markers show it; moreover, the attack on chemokines, as well as substances such as Toll-like receptor 2 agonists (TLR2), Abatacept, but also the Reelin protein (RELN), which interact with the β1 integrin at the level of the cardiomyocyte membrane can lead to the regeneration of compromised myocytes, after all, an obviously anti-inflammatory process. Today we still do not have a consensus on these solutions for the control of systemic endothelial inflammation, much less in the primary prevention of atherosclerosis, but in secondary prevention significant progress is expected in the near future.

În 1998 un concept coerent și documentat apărea în denominația și aplicațiiile științifice și practice legate de evoluția patologiei cardio-vasculare, concept numit “continuum-ul cardiovascular”, formulat de Victor Dzau și Eugene Brauwald.1 S-a impus, astfel, ideea de disfuncție endotelială – pornind de la endoteliul vascular și până la structura miocardului de lucru al inimii, disfunc-

ție constând, în primul rând, într-o inflamație sistemică, apărută atât pe fond genetic predeterminat, cât și pe unul epigenetic, datorat comprtamentului biologic inadecvat – sedentarism, alimentație irațională, fumat, exces de alcool, lipsă de igienă mentală etc., chiar din primii ani de viață, și cumulului de risc cardiovascular endotelio-cardio-metabolic, reprezentat de hipertensiunea arterială – mai ales prin hiperexpresia Angiotensinei II – dislipidemiile familiale sau dobândite, diabetul zaharat tip 1 și mai ales 2, obezitatea. Placa turnantă a acestui fenomen, a inflamației endoteliale este apariția și evoluția celei mai tipice leziuni morfologice endoteliale, de multe ori chiar la nivelul benignelor striuri lipidice, prezente încă din anul 7 sau 8 al vieții, la indivizii predispuși la ateroscleroză – placa de aterom, care poate evolua mai rapid sau mai lent, cu mai multe tipuri de transformări, până la decompensarea ei, generând accidente ischemice amenințătoare de viață și de calitate a vieții, de cele mai multe ori, ireversibile. Descrierile inițiale ale fenomenului se refereau, prin excelență, la placa inflamată, “caldă” (chiar la propriu), bogată în lipide agresive (fracțiuni mici, dense și oxidate ale LDL colesterolului, și nu numai) și generând, prin lupta macrofagelor cu lipidele toxice, un bogat miez necrotic, împins către lumenul arterial, ceea ce conduce, în funcție de factorii de risc precizați, la disecția și hemoragia în placă, și, consecutiv, la tromboza ocluzivă completă sau incompletă. Participarea sanguină, prin accentuarea chemotactică a monocitelor și a limfocitelor T helper și killer, dar și a trombocitelor accentuează și grăbește inflamația și degenerarea plăcii. În ultimele decenii, datorită terapiei hipolipemiante cu statine potente, mai ales în doze maxime tolerate, dovedind și efecte pleiotrope, adică antiinflamatoare, asociate cu antiagregantele plachetare, mai frecvent acidul acetil salicylic (AAS), acest model de placă vulnerabilă, caldă, activă, hiperlipidică a fost, în bună parte, înlocuit de o altă evoluție – cea de placă “ rece”, hipolipidică, acoperită de un capișon fibros dezvoltat progresiv, leziune care poate și ea genera ischemie, dar nu prin disecție ci prin eroziune superficială și embolizare distală a detritusului fibro-calcar.2 Și nu doar atât, dovezile

cumulate în ultimele decenii privesc și spre miocardul ventricular, dar și atrial, implicat, de asemenea, în fenomene imuno-metabolice datorate aceleiași inflamații endoteliale sistemice, care duce la degenerarea și fibrozarea miofibrilei, până la stadiul de cardiomiopatii cu dilatație camerală. De altfel, în conceptul de continuum cardiovascular, stadiul final este tocmai urmarea nu doar a necrozei miocadice posttrombotice (infarct miocardic acut – IMA), ci insuficiența cardiacă ireversibilă și ireductibilă, mulifactorială. Un studiu exhaustiv, publicat în 2025 în EHJ, pe populația din Stockholm, între 2007 și 2021, cuprinzând 84 399 adulți cu patologie cardio-vasculară, la 3 din 5 pacienți s-a documentat inflamație sistemică; la aceștia evoluția și mortalitatea a fost accelerată și respectiv mai crescută decât la cei fără această marcă de risc.3 Multe din cazuri se datorează unei predispoziții genetice, în prezent fiind cunoscute aspecte importante. De pildă, polimorfismul mononucleotidic rs10754555, într-o regiune intronică a genei NLRP3 este asociat cu niveluri crescute ale NLRP3 mARN, respectiv cu inflamație sistemică crescută și cu un risc mai mare de boli cardiovasculare, la persoanele cu vârsta sub 60 de ani, în prezența unor niveluri ridicate de apolipoproteină C3 (ApoC3), trigliceride (TG) sau acid uric, având semnale indirecte sau directe în ser – CRPhs, amiloid seric A și interleukină 1, 6 și 8. Inflammazomii sunt receptori intracelulari de recunoaștere a modelelor de imunitate înnăscută, care detectează deteriorarea celulară și răspund la ea prin inițierea inflamației. De obicei, celulele necesită amorsare pentru a iniția inflammazomul. Desigur, epigenetica are un rol la fel de important, și anume comportamentul biologic și mediul de viață al individului.4

Cum am mai precizat, există azi markeri inflamatori sistemici fiabili pentru recunoașterea inflamației agresive endoteliale, unii precoce depistabili, alții mai tardiv. De pildă, interleukina 8 este evident mai precoce decît cea de tip 1 și 6. CRPhs, desi ubicuă, este mai puțin specifică, mai lentă în instalare și mai rapidă în normalizare după un eveniment ischemic acut. În schimb, în afară limfocitokinelor direct actante, deja precizate, MCP 1, TNF α, Interferonul β 1, molecule solubile de

adeziune vasculară (VCAM-1), fosfolipaza A2 asociată cu lipoproteinele circulante (FLPA2), IGF-1 (Insulin Like Growth Factor-1), moleculele solubile de Selectină-E și –P, produsele finale ale glicării (PFG), nivelul sanguin al NO și, respectiv majorarea conţinutului seric al peroxinitritului (ONOO-), produsul de interacţiune dintre NO și anionul superoxid – sunt foarte fiabili. Mai recent s-a dovedit și rolul unui nou marker de inflamație fiabil - autoanticorpii (aAbs) împotriva CXC-motif-chemokine receptor 3 (CXCR3). 5

Am precizat deja rolul agenților deveniți clasici antiinflamatori indirecți – statinele în doze maxime tolerate + ezetimibe, antiagregantele plachetare, dar și hipolipemmiantele noi, anticorpii monoclonali antiPCSK9 (alirocumab, evlocumab), siRNA anti același receptor PCSK9 (Inclisiran). Problema e că în ultimul deceniu s-a observant rolul major al lipoproteinei(a) și al Apolipoproteinei B în declanșarea și accelerarea procesului ateroclerotic, dincolo de mult incriminatul colesterol LDL – fracțiunile mici, dense și oxidate. Aceste alte fracțiuni lipidice crescute au demonstrat, de asemenea, un impact inflamator semnificativ. Împotriva acestor agresori sunt în stadii avansate de studiu promițătoare molecule de oligonucleotide antisens (ASOs) și de ARN mic și interferant (siRNA), precum Pelacarsen, Olpasiran, Zerlasiran, Lepodisiran și Muvalaplin. Un efect relativ bun, dar sub nivelul primelor citate îl mai au Niacinul și Evolocumabul 6

Un impact inițial mai mult teoretic l-au avut studiile cu antiinflamatoare sistemice endoteliale de primă intenție,7 mai întâi studiile cu Colchicină (LODOCO II, COLCOT și CLEAR 16), evident, în prevenție secundară. Primele două au avut rezultate promițătoare, ultimul, pe sindrom acut coronarian, nu tocmai. Există un contingent de pacienți intoleranți digestiv la acest drog. Nu există consens, în momentul de față, în legătură cu efectele colchicinei, și nici introducerea ei în ghidurile de bună practică medicală. Alte antiinflamatoare testate au fost Canakinumabul (inhibitor de interleukină 1β), în studiul CANTOS, Anakinra (inhibitor de interleukină 1), în VIRGINIA COMMONWEALTH UNIVERSITY ANAKINRA REMODELLING TRIAL 38, și Ziltivekimabul (anti ligandul IL-6), studiul RESCUE. Doar ultimul studiu a

prezentat un raport eficiență/siguranță favorabil, primele 2 au arătat un risc relativ crescut de infecții severe la pacienții din studiu, ca efect advers important. Din acest motiv există suficiente controverse privind administrarea de rutină, în prevenție secundară, a acestor remedii. Un efect promițător antiaterosclerotic a demonstrat și Semaglutida (agonist GLP1), și chiar inhibitorii SGLT2 – în speță Empagliflozin. Mai mult decât atât, ultime studii arată implicarea TNFSF-14, IL-6 și IL-18 în patogeneza și menținerea fibrilației atriale persistente (PeAF). În plus, identifică β-NGF și TGF-α ca potențiali participanți la patogeneza și/sau menținerea PeAF la nivel local, în atrii. Noi biomarkeri inflamatori, în principal chemokine, sunt, de asemenea, identificați ca fiind posibil implicați în fiziopatologia fibrilației atriale.8

În fine, insuficiența cardiacă, de mai toate etiopatogeniile, confirmă o participare importantă a inflamației, aceasta fiind, în principiu, chiar stadiul final al disfuncției inflamatorii endoteliale. Markerii inflamatori o arată. Mai mult, atacul asupra chemokinelor, precum și substanțe precum agoniști ai receptorului Toll-like 2 (TLR2), Abatacept-ul, dar și proteina reelin (RELN), care interacționează cu integrina β1 de la nivelul membranei cardiomiocitelor pot duce la regenerarea miocitelor compromise, până la urmă, un proces evident anti-inflamator.9

Chiar dacă azi încă nu putem vorbi de un consens privind aceste soluții destinate controlului inflamației sistemice endoteliale, cu atât mai puțin în prevenția primară a aterosclerozei, în prevenția secundară sunt așteptate progrese semnificative, într-un viitor apropiat.

Bibliografie

1. The Cardiovascular Disease Continuum Validated: Clinical Evidence of Improved Patient Outcomes: Part I: Pathophysiology and Clinical Trial Evidence (Risk Factors Through Stable Coronary Artery Disease), Victor J. Dzau, Elliott M. Antman, Henry R. Black, David L. Hayes, JoAnn E. Manson, Jorge Plutzk, Jeffrey J. Popma and William Stevenson, Circulation, Volume 114, Number 25, 2006.

2. Requiem for the ‘vulnerable plaque’, Peter Libby, Gerard Pasterkamp, European Heart Journal, Volume 36,

Issue 43, 14 November 2015, Pages 2984–2987.

3. Systemic inflammation and health outcomes in patients receiving treatment for atherosclerotic cardiovascular disease, Faizan Mazhar, Anne-Laure Faucon, Edouard L Fu, Karolina E Szummer, Jimmi Mathisen, Sofia Gerward, Simon Bertram Reuter, Nikolaus Marx, Roxana Mehran, Juan-Jesus Carrero, European Heart Journal, Volume 45, Issue 44, 21 November 2024, Pages 4719–4730

4. Can a single genetic variant explain residual cardiovascular risk by modifying NLRP3 expression? Nikolina Papac-Milicevic and Christoph J. Binder, European Heart Journal (2021) 42, 1757–1759

5. Autoantibodies against the chemokine receptor 3 predict cardiovascular risk, Felix S Müller, Zouhair Aherrahrou, Hanna Grasshoff, Marc W Heidorn, Jens Y Humrich, Laurence Johanson, Redouane Aherrahrou, Tobias Reinberger, Andreas Schulz, Vincent ten Cate, European Heart Journal, Volume 44, Issue 47, 14 December 2023, Pages 4935–4949

6. Lipoprotein(a) association with residual risk: what has inflammation got to do with it? Zareen M Farukhi, Samia Mora, European Heart Journal, Volume 45, Issue 12, 21 March 2024, Pages 1055–1057

7. Seeking and treating inflammation in ischaemic heart disease: are we ready? Francesco Prati, Flavio Mastroianni, Giulia Paoletti, Valeria Marco, Flavio Giuseppe Biccirè, Laura Gatto, European Heart Journal Supplements, Volume 27, Issue Supplement_3, March 2025

8. Differences in inflammation biomarkers between patients with paroxysmal and persistent atrial fibrillation in the femoral vein and coronary sinus blood samples; a cohort study. Short: Inflammatory Biomarkers in Atrial Fibrillation. Carlos Valera Soria, Carl-Johan Carlhäll, Lars O Karlsson, Johan Lindbäck, Ziad Hijazi, Emmanouil Charitakis, European Heart Journal Open, oeaf089, Published: 15 July 2025

9. Targeting immunoregulation for cardiac regeneration, Li R, Xiang C, Li Y, et al., J Mol Cell Cardiol. 2023;177:1–8. PMID: 36920265. doi: 10.17219/ acem/159947.

Heart Team MONZA ARES

Soluții microinvazive hibrid pentru cazurile complexe

Cardiologia evoluează continuu, iar astăzi există soluții eficiente inclusiv pentru cazurile complexe – dacă sunt abordate corect, multidiciplinar, personalizat.

Grupul MONZA ARES, cea mai mare rețea națională privată specializată în cardiologie, oferă soluții terapeutice de cardiologie microinvazivă prin chirurgie cardiovasculară și cardiologie intervențională – inclusiv proceduri hibrid.

Ce sunt procedurile hibrid?

Sunt proceduri moderne care rezolvă, într‑o manieră minim sau microinvazivă, leziunile complexe coronariene, valvulare sau vasculare periferice. Astfel, cazuri foarte complexe sunt rezolvate atât prin abordare intervențională, cât și prin chirurgie, fiind necesară o colaborare foarte strânsă între medici.

Heart Team –

O abordare integrată pentru tratamente personalizate

În cadrul centrului integrat de cardiologie MONZA ARES din Spitalul Monza, deciziile medicale în cazul pacienților cu afecțiuni complexe sunt luate întotdeauna în cadrul unui Heart Team ‑ o echipă multidisciplinară de specialiști medicali care lucrează împreună pentru a evalua și a decide cel mai bun plan de tratament pentru pacienții cu afecțiuni cardiovasculare complexe.

Această echipă include de obicei medici din diferite specialități, cum ar fi: cardiologi, intervenționiști, chirurgi cardiovasculari, medici anesteziști, imagiști medicali, electrofiziologi, precum și personal medical cu experiență în îngrijirea a pacientului cardiac complex.

Rolul principal al Heart Team este să ofere o abordare integrată și personalizată, având în vedere complexitatea și particularitățile fiecărui caz.

Exemple de proceduri hibrid:

Revascularizarea minim invazivă a arterelor coronare urmată de valvuloplastie chirurgicală

Pacienții care sunt diagnosticați în urma coronarografiei cu leziuni unicoronariene sau bicoronariene, fără afectarea arterei interventriculare anterioare, dar care au și o afectare severă a valvelor inimii pot beneficia astăzi de o strategie terapeutică hibridă care presupune revascularizarea minim invazivă a arterelor coronare și valvuloplastie chirurgicală.

În cazul acestor pacienți, medicii cardiologi intervenționiști tratează leziunile coronariene prin revascularizare, adică prin angioplastie coronariană cu stent sau balon. După rezolvarea acestor leziuni, tratament premergător chirurgiei valvulare, medicii chirurgi cardiovasculari efectuează o intervenție chirurgicală microinvazivă pentru repararea valvelor afectate. Această procedură de chirurgie cardiacă se face prin minitoracotomie, adică printr‑o simplă tăietură intercostală, de aproximativ 5 cm, prin care fie se repară valva nativă afectată, fie se înlocuiește cu o proteză valvulară mecanică sau

biologică. Astfel, se evită operația clasică prin care se deschide întreg sternul.

În timpul intervenției chirurgicale, se montează sistemul de circulație extracorporeală în periferie, se oprește cordul și se repornește după implantarea protezei valvulare sau repararea chirurgicală a valvei.

Față de rezolvarea prin intervenția chirurgicală clasică, prin sternotomie totală, recuperarea în cazul acestei proceduri hibrid este mult mai rapidă și pacientul se poate întoarce la viața normală, în maximum o lună de zile.

Unde se realizează aceste proceduri hibrid?

Spitalul MONZA ARES din București este un centru de referință în domeniul chirurgiei cardiovasculare private din România și locul în care s‑au efectuat cu succes intervenţii cu un grad înalt de dificultate, în premieră în România, precum și primele intervenții de chirurgie cardiovasculară robotică din Europa de Sud‑Est.

De ce MONZA ARES?

Misiunea MONZA ARES în România este să asigure accesul unui număr cât mai mare de pacienți la tratamente inovatoare din sfera cardiologiei.

De‑a lungul ultimilor 15 ani , echipa a realizat 25 de premiere medicale naţionale în cardiologia structurală și intervențională, care definesc angajamentul nostru față de inovaţie și excelenţă medicală.

În prezent, rețeaua națională MONZA ARES deține două spitale, în București și Cluj‑Napoca, opt centre de cardiologie și radiologie intervențională în spitale publice sau private din țară și șapte ambulatorii clinice cu accent pe cardiologie și specialități conexe, între care clinicile MONZA ARES Cardiomed din Cluj‑Napoca.

MONZA ARES deține ATI de categoria I, 5 săli de operație dedicate chirurgiei cardiovasculare și 3 săli de angiografie în cadrul Spitalului Monza, în total având 11 săli de angiografie în 8 centre prezente în 6 orașe.

ABCC9, BAG3, CACNA1C, ..., ZIC3 - un altfel de alfabet?

Conform Organizației Mondiale a Sănătății, 17,9 milioane de vieți sunt curmate în fiecare an de boli cardiovasculare, principala cauză de deces la nivel global. Heritabilitatea acestor afecțiuni este încă puțin înțeleasă, variind de la boli monogenice cu tablouri clinice mai mult sau mai puțin complexe, la determinism genetic poligenic sau multifactorial, în care variante frecvente în populație, cu contribuție clinică redusă, dar cumulativă, pot conduce la deces, în contextul stilului de viață îndepărtat de cerințele fundamental biologice ale omului (anume, activitate fizică redusă, somn neadecvat, fumat, dietă necorespunzătoare tradusă în niveluri crescute de lipide și glucide serice, indice de masă corporală crescut, hipertensiune arterială).

Încercând să găsească răspunsuri și soluții pentru aceste probleme, cardiogenomica acoperă analiza cauzelor genetice ale bolilor cardiovasculare, cercetarea mecanismelor prin care modificările la nivelul ADN conduc la apariția simptomatologiei, investigarea interacțiunii dintre factorii genetici și diversele molecule folosite în scopuri terapeutice, designul de terapii personalizate. În privința identificării cauzelor genetice în scop diagnostic, societățile de cardiologie din diverse țări propun recomandări de testare în care tehnologia de primă linie este secvențierea de generație următoare (NGS).

Astfel, Consiliul de Genomică Cardiovasculară al Societății Europene de Cardiologie (https://www.escardio.org/Councils/Council-on-Cardiovascular-Genomics/ Cardiovascular-Genomics-Insight#) oferă recomandări și exemple specifice pentru investigarea genetică a diferitelor grupe majore de patologii (fibrilație atrială cu debut precoce, aritmii ventriculare și moarte subită, cardiomiopatie hipertrofică, aortopatii etc.).

Colegiul American de Cardiologie ( https://www.acc.org/Latest-in-Cardiology/ten-points-to-remember/2023/02/07/05/47/approaches-to-genetic-screening) precizează câteva puncte cheie pentru investigarea genetică a cardiomiopatiilor, începând cu necesitatea unei descrieri detaliate a fenotipului clinic.

Multe boli cardiovasculare sunt caracterizate de penetranță incompletă (prezența unei variante patogene poate să nu fie întotdeauna însoțită de manifesări clinice) și de expresivitate variabilă (prezența unei aceleiași variante patogene se poate manifesta clinic prin severități diferite). Testarea genetică prin NGS prezintă limitări, astfel încât neidentificarea unei variante patogene nu este echivalentă cu absența unei cauze genetice: variante patogene din gene candidat sau localizate în afara regiunilor codificatoare ori de splicing, precum și anomalii implicând regiuni reglatoare pot fi ratate de testele genetice uzuale; la acestea se adaugă și dificultățile de secvențiere ale unor regiuni genetice, ce pot genera rezultate fals negative. Identificarea unei variante cu semnificație clinică incertă are utilitate clinică redusă, nefiind suficientă pentru investigarea presimptomatică ale rudelor la risc sau prenatală; nu în ultimul rând, o reevaluare a acestor variante incerte, după 1-2 ani, poate rezulta într-o reclasificare a patogenicității lor. Testarea genetică post-mortem în cazul morții subite poate fi utilă pentru monitorizarea rudelor aflate la risc sau pentru screeningul preimplantațional al embrionilor.

Colegiul Japonez de Cardiologie, împreună cu alte 10 grupuri profesionale conexe, a elaborat un ghid detaliat privind testarea și consilierea genetică în bolile cardiovasculare (Imai Y et al. Circulation J 2024;88:2022-2099). Astfel, testarea NGS este de primă linie în cazul afecțiunilor non-sindromice, pe când cariotipul standard sau molecular, testarea țintită bazată pe tehnologiile FISH, PCR sau MLPA ori screeningul metabolic pot fi folosite pentru confirmarea diagnosticului unor afecțiuni sindromice cu manifestări cardiovasculare. Ca exemplu, în cardiomiopatia hipertrofică se cunosc 11 gene cu asociere definitivă (ACTC1, CSRP3, JPH2, MYBPC3, MYH7, MYL2, MYL3, TNNC1, TNNI3,

TNNT2, TPM1), ca și alte gene candidate; în cardiomiopatia dilatativă se recomandă testarea genelor ABCC9, ACTN2, ACTC, ANKRD1, BAG3, CRYAB, CSRP3, DES, DMD, EMD, EYA4, FHL2, FKTN, ILK, LDB3, LAMA4, LMNA, MYBPC3, MYLK3, MYH6, MYH7, MYPN, NEXN, PLN, PSEN1, PSEN2, RBM20, SCN5A, SGCB, SGCD, TCAP, TNNC1, TNNI3, TNNT2, TPM1, TTN, VCL și a ADN mitocondrial, iar în cardiomiopatia aritmogenă - DSC2, DSG2, DES, DSP, FLNC, JUP, LMNA, PKP2, PLN, TMEM43

Ca perspective, scorurile poligenice, care integrează informații despre sute de variante genice într-un singur parametru, pot furniza informații privind riscul de boală cardiovasculară. Deși Societatea Europeană de Cardiologie nu încurajează, în momentul de față, folosirea lor în practica clinică, precizează că, odată cu mai buna fundamentare științifică, acestea pot deveni un instrument valoros de evaluare a riscului (Shunkert et al. Eur Heart J 2025;46:1372–1383).

Ghidat de aceste recomandări, urmând „alfabetul“ genelor, Cytogenomic Medical Laboratory oferă o paletă largă de analize genetice și genomice relevante investigării afecțiunilor cardiovasculare sindromice și non-sindromice.

Dr. biolog Andreea Țuțulan-Cuniță
Dr. Maria Stratan

Sindromul cardio-reno-metabolic

paradigmă integrată în prevenția și tratamentul bolilor cardiovasculare

Col. Șef Lucrări

Dr. Alice Munteanu

Medic primar Cardiologie, Medic primar Medicină internă, Coordonator al Centrului de Boli Cardiovasculare, SCUMC „Dr. Carol Davila”, Facultatea de Medicină, Universitatea “Titu Maiorescu “ București, Doctor în Științe Medicale

Dr. Enache Cioc

Medic rezident Cardiologie, SCUMC „Dr. Carol Davila” București

Introducerea conceptului

Sănătatea cardio-reno-metabolică reprezintă expresia clinică a interacțiunilor complexe dintre factorii de risc metabolici tradiționali (obezitate, hipertensiune arterială, dislipidemie, sindrom metabolic, diabet zaharat), boala cronică de rinichi (BCR) și patologia cardiovasculară. Aceste entități nu evoluează independent, ci se potențează reciproc prin mecanisme fiziopatologice comune, fiind asociate cu o morbi-mortalitate crescută și generând costuri uriașe pentru sistemele de sănătate.

Datele epidemiologice confirmă această povară: obezitatea severă (grad III) reduce supraviețuirea mediană cu 8–10 ani1; pacienții cu diabet trăiesc, în medie, cu 13–14 ani mai puțin decât populația generală, mai ales dacă boala debutează precoce2; iar pacienții cu BCR în stadiul G4 au o speranță de viață cu până la 20 de ani mai redusă comparativ cu cei aflați în stadiile 1–23. Asocierea acestor condiții are un efect sinergic: un studiu american a arătat că, pe parcursul

a 10 ani, mortalitatea a fost de 7,7% la pacienții cu diabet, 11% la cei cu boală cronică de rinichi (BCR), dar a crescut dramatic la 31% atunci când cele două patologii coexistau4.

Până recent, bolile cardiovasculare, renale și metabolice au fost abordate ca entități distincte, deși coexistă frecvent la același pacient și se potențează reciproc. Dacă relațiile bidirecționale dintre boala renală și cea cardiacă sunt deja consacrate sub denumirea de „sindrom cardiorenal”, iar legătura dintre sindromul metabolic și boala cardiovasculară este bine documentată (prin rolul adipozității viscerale în inflamația sistemică, insulinorezistență și dezvoltarea factorilor de risc tradiționali), în noiembrie 2023 Asociația Americană a Inimii (AHA) a lansat conceptul de Cardiovascular-Kidney-Metabolic (CKM) syndrome – sindromul cardio-reno-metabolic (CRM) prin publicarea unui Presidential Advisory5 și a unui Scientific Statement6 în revista Circulation,

oferind o viziune integrată asupra tuturor acestor mecanisme. Practic, sindromul metabolic participă decisiv în multiple etape ale sindromului cardiorenal, iar disfuncția renală apare ca mediator central al relației dintre factorii de risc metabolici și bolile cardiovasculare.

Această redefinire este justificată nu doar prin considerații fiziopatologice, ci și prin implicațiile asupra sănătății publice: prevalența obezității și a diabetului crește alarmant la nivel global, inclusiv în rândul populației tinere. Studii epidemiologice recente arată că sindromul CRM afectează deja un procent semnificativ din populația adultă, având o prevalență estimată între 25–30% în funcție de criteriile utilizate. În Statele Unite, analiza datelor din National Health and Nutrition Examination Survey (NHANES) a sugerat că până la două treimi dintre adulții peste 65 de ani pot fi încadrați într-un stadiu al sindromului CRM.7

Un pas esențial pentru gestionarea sindromului este definirea și clasificarea

Figura 1. Fiziopatologia sindromului CRM. Țesutul adipos în exces sau disfuncțional, prin secreția de citokine și adipokine proinflamatorii, favorizează inflamația, stresul oxidativ, rezistența la insulină și disfuncția endotelială. Aceste procese duc la depunerea ectopică de grăsime (hepatică, epicardică, renală), hipertensiune și dislipidemie, cu progresie către boală cardiovasculară aterosclerotică și disfuncție cardiacă, precum și către BCR prin glomeruloscleroză și fibroză interstițială. Interacțiunile maladaptive dintre inimă și rinichi, la care se adaugă activarea neurohormonală și retenția hidrosalină, închid cercul vicios ce caracterizează sindromul cardio-reno-metabolic. Imagine preluată și tradusă de autori din documentul AHA5

Figura 2. Interrelația fiziopatologică cardio-renală în contextul sindromului metabolic. SRAA=sistemul renina-angiotensină-aldosteron

acestuia. AHA consideră termenul „sindrom CRM” mai potrivit decât „boală”, deoarece subliniază atât interacțiunea sistemică dintre factorii de risc, cât și spectrul severității — de la modificări fiziopatologice precoce la afectarea organelor-țintă și risc cardiovascular înalt. Definiția formulată de AHA5 este:

”O tulburare sistemică caracterizată de interacțiuni fiziopatologice între factorii de risc metabolici, boala cronică de rinichi și sistemul cardiovascular, ce conduce la disfuncții multisistemice și la o rată ridicată de evenimente cardiovasculare. Sindromul CRM include atât indivizi cu risc cardiovascular prin prezența factorilor metabolici, BCR sau ambele, cât și indivizi cu patologie cardiovasculară preexistentă, potențial legată de sau com-

plicată de factorii metabolici sau BCR. Probabilitatea crescută a sindromului CRM și a efectelor sale adverse este influențată suplimentar de condiții nefavorabile de stil de viață și auto-îngrijire determinate de politici, economie și mediu.”

Aceste clarificări conceptuale sunt fundamentale înainte de a propune strategii de screening, prevenție și intervenție terapeutică — teme pe care le vom aborda în secțiunile următoare.

Fiziopatologia

sindromului CRM

Sindromul CRM are un caracter progresiv, care poate debuta precoce, încă din copilărie, sub influența factorilor socio-economici și de mediu ce favorizea-

Figura 3. Stadializarea sindromului. IC=insuficiență cardiacă. FiA=fibrilație atrială. SCC=sindrom coronarian cronic. AVC=accident vascular cerebral. BAP=boală arterială periferică. Imagine preluată și tradusă de autori din documentul AHA1

ză acumularea excesivă de țesut adipos. Elementul central al acestei paradigme este faptul că fiecare componentă – cardiovasculară, metabolică și renală – amplifică disfuncția celeilalte, generând un cerc vicios ce întreține progresia sindromului.

În mecanismul fiziopatologic punctul de plecare este reprezentat de țesutul adipos visceral excesiv și/sau disfuncțional. Acesta atrage infiltrarea celulelor imune și secreția de mediatori proinflamatori și pro-oxidativi, cu două consecințe majore:

(1) lezarea țesutului vascular și renalprin afectare vasculară (ateroscleroză), dar și directă, tisulară, cu inflamație miocardică și fibroză glomerulară ca efect final;

(2) scăderea sensibilității la insulină, ce duce la insulinorezistență și hiperglicemie persistentă.

Pe lângă adipozitatea viscerală, un rol important îl are și depozitarea ectopică de grăsime.

• La nivel hepatic, aceasta se traduce prin boala hepatică steatotică asociată disfuncției metabolice cu rol de amplificare a inflamației sistemice și a insulinorezistenței.

• Depozitele epicardice și pericardice influențează direct funcția cordului, crescând riscul de aritmii și disfuncție miocardică atunci când sunt prezente în exces.

• Depozitele renale contribuie la menținerea unor valori tensionale crescute și accelerează afectarea funcției renale. Inflamația cronică, stresul oxidativ, insulinorezistența și disfuncția endotelială sunt considerate mecanisme centrale, cu impact asupra tuturor celor trei domenii ale sindromului: favorizează apariția hipertensiunii, dislipidemiei, sindromului metabolic și diabetului; accelerează dezvoltarea bolii cardiovasculare și contribuie la progresia bolii renale cronice prin glomeruloscleroză și fibroză interstițială.

Hiperglicemia reprezintă un alt factor cheie: excesul de glucoză intracelulară stimulează producția mitocondrială de specii reactive de oxigen (ROS), stresul oxidativ generat de acestea fiind considerat principalul eveniment inițiator al afectării de organ-țintă în diabet. În paralel, formarea produșilor finali de glicare avansată (AGEs) contribuie la

accelerarea aterogenezei, prin modificarea lipoproteinelor și interacțiunea cu receptori specifici ce promovează stresul oxidativ și apoptoza celulară. Atât ROS, cât și AGEs determină disfuncție endotelială, un mecanism central în ateroscleroză și boala microvasculară.

La acestea se adaugă insulinorezistența, care obligă celulele să utilizeze preferențial acizii grași liberi pentru producția de energie. Oxidarea lor necesită mai mult oxigen decât oxidarea glucozei, ceea ce reduce eficiența energetică și induce stres celular cronic. Excesul de acizi grași liberi favorizează depunerea intracelulară de trigliceride, amplificând stresul oxidativ și lipotoxicitatea.

Un alt pilon fiziopatologic major este activarea sistemului renină–angiotensină–aldosteron (SRAA) de către toate cele 3 componente: obezitatea, boala cronică de rinichi și disfuncția cardiacă. Activarea neurohormonală contribuie la retenția de sodiu și apă, hipertensiune și remodelare cardiacă, perpetuând cercul vicios al sindromului CRM.

După ce am analizat modul în care disfuncția metabolică influențează cordul și rinichiul, trebuie subliniată și relația bidirecțională dintre inimă și rinichi, definită clasic sub conceptul de sindrom cardiorenal. Această entitate este bine caracterizată și are o clasificare în cinci tipuri, fiecare corespunzând unei direcții de influență între cord și rinichi.

Pe scurt, disfuncția cardiacă conduce la hipoperfuzie renală cronică și la scăderea treptată a ratei de filtrare glomerulară. În paralel, retenția de sodiu și apă din insuficiența renală, asociată cu activarea cronică a SRAA, agravează insuficiența cardiacă prin creșterea pre- și postsarcinii. De asemenea, efectele sistemice ale disfuncției renale (retenția toxinelor uremice, inflamația sistemică, tulburările metabolismului fosfo-calcic cu calcificări vasculare, ateroscleroză accelerată și anemia asociată BCR) contribuie suplimentar la deteriorarea funcției cardiace.8

Tot mai multe dovezi sugerează că disfuncția cardiovasculară poate, la rândul său, să favorizeze apariția diabetului zaharat de tip 2.9 Mecanismele propuse includ:

• disfuncția endotelială, element comun între homeostazia glicemică alterată și boala cardiovasculară;

• activarea simpatică cronică, ce deter-

mină hipoperfuzie musculară scheletică prin vasoconstricție alfa-adrenergică, limitând captarea glucozei;

• activarea SRAA, care reduce fluxul muscular și interferează cu căile de semnalizare ale insulinei, inhibând transmiterea intracelulară a semnalului;

• insuficiența cardiacă cronică, asociată cu hipoperfuzie periferică și pierderea masei musculare scheletice, țesut ce reprezintă principala cale de utilizare a glucozei.

În mod similar, și BCR se asociază cu un risc crescut de diabet și insulinorezistență10. Studii populaționale au arătat că insulinorezistența poate fi prezentă precoce la pacienții cu BCR, indiferent de etiologia acesteia11. Acest fenomen se explică prin defecte în căile de semnalizare a insulinei la nivelul musculaturii scheletice, cu alterări post-receptor și reducerea utilizării glucozei. Alte mecanisme propuse sunt inflamația sistemică și stresul oxidativ din BCR, fiind larg acceptat faptul că citokinele proinflamatorii sunt asociate cu insulinorezistență prin modificări postranslaționale ale proteinelor implicate în transmisia semnalului celular. În plus, deficitul cronic de vitamina D poate fi o altă explicație a interrelației BCR-DZ tip 2, vitamina D fiind implicată în reglarea secreției de insulină prin modularea calciului intracelular în celule beta pancreatice și în upreglarea receptorilor celulari de insulină.8 Astfel, sindromul cardiorenal nu reprezintă doar o relație bidirecțională între inimă și rinichi, ci un nod central care favorizează și dezvoltarea diabetului zaharat de tip 2, completând cercul vicios al sindromului CRM.

Stadializarea

sindromului CRM

Așa cum am menționat anterior, sindromul CRM este o condiție progresivă, care poate debuta încă din copilărie, sub influența factorilor socio-economici și comportamentali ce favorizează acumularea de țesut adipos în exces și apariția inflamației sistemice. Țesutul adipos disfuncțional progresează adesea rapid către factorii de risc metabolici tradiționali (hipertensiune arterială, dislipidemie, diabet zaharat, sindrom metabolic) și către BCR.

În timp, aceste comorbidități acționează sinergic și determină apariția aterosclerozei subclinice și deteriorarea treptată a funcției renale, agravând totodată funcția cardiacă. De la stadiul subclinic la prima decompensare clinică este adesea doar un pas. Tocmai această evoluție graduală a justificat introducerea unui sistem de stadializare, menit să permită identificarea pacienților în diverse stadii și să ghideze orientarea strategiilor preventive și terapeutice. Astfel, AHA a propus un model cu cinci stadii (figura 2).

Stadiul 0 – Absența factorilor de risc metabolici Pacienți normoponderali, euglicemici, normotensivi, cu profil lipidic normal și fără dovezi de boală cronică de rinichi sau boală cardiovasculară.

Stadiul 1 – Adipozitate excesivă sau disfuncțională

• Adipozitate excesivă: definită prin valori crescute ale IMC sau circumferinței abdominale (>102 cm la bărbați, >88 cm la femei; praguri mai reduse pentru populațiile asiatice, care dezvoltă anomalii metabolice la grade mai mici de obezitate viscerală).

• Adipozitate disfuncțională: definită prin prezența disglicemiei, fără criterii de diabet (glicemie a jeun 100–124 mg/dl sau HbA1c 5,7–6,4%).

Stadiul 2 – Factori de risc metabolici și/sau boală cronică de rinichi

Pacienți care prezintă hipertensiune arterială, diabet zaharat, sindrom metabolic sau BCR (conform clasificării KDIGO, cu risc cardiovascular moderat sau înalt). În majoritatea cazurilor, pacienții din stadiul 1 progresează către stadiul 2, însă este posibilă și apariția factorilor de risc metabolic sau a BCR independent de obezitate. Indiferent de cauză, aceste condiții imprimă un risc cardiovascular crescut și justifică intervenții similare de reducere a riscului.

Stadiul 3 – Boală cardiovasculară subclinică

Indivizi cu caracteristici din stadiile 1–2 care prezintă dovezi de ateroscleroză sau insuficiență cardiacă subclinică. Exemple: scor de calciu coronarian cres-

Supliment alimentar destinat doar adulților.

COPLEȘIT DE STRES ?

Inima ta merită liniște!

Înțelegerea stresului, a cauzelor și simptomelor sale, este primul pas către gestionarea eficientă a acestuia. Stresul, deși o reacție naturală a organismului la diverse provocări cotidiene, poate avea efecte devastatoare asupra inimii,

ALEGE

ECHILIBRU ȘI CALM

Combinând puterea calmantă a Valerianei cu beneficiile Potasiului, Magneziului, Salix Alba (”Aspirina naturală”), Păducelului, Valerianei și Vitaminei B6 asupra inimii și vaselor de sânge, formula unică EXTRA CARDIORELAX® de la COSMO PHARM® este creată pentru a oferi echilibru emoțional, a face față stresului și a reduce palpitațiile.

Reglează ritmul cardiac și tensiunea arterială. Reduce inflamația în corp, inclusiv în vasele de sânge. Contribuie la fluidizarea sângelui. Întărește mușchiul inimii și pereții vaselor de sânge. Contribuie la gestionarea stresului și reducerea palpitațiilor. Calmează și relaxează.

ASOCIEREA PERFECTĂ

DE PLANTE, VITAMINE ȘI MINERALE atent selectate care întăresc inima, îți oferă calm și echilibru.

EXTRACTE CONCENTRATE

DIN PLANTE cu puternice efecte calmante, anxiolitice, antiinflamatoare, și care reglează ritmul cardiac.

FORMULĂ

INSPIRATĂ DIN NATURĂ

fără coloranți, arome artificiale, conservanți, zahăr, sodiu, gluten/grâu, crustacee/pește, ouă, alune/nuci, lactoză.

ADMINISTRARE

1 CAPSULĂ VEGETALĂ PE ZI

La nevoie, se pot administra până la 2-3 capsule pe zi.

cut la CT, leziuni coronariene sau arteriale identificate angiografic, sau disfuncție cardiacă subclinică evidențiată prin biomarkeri (NT-proBNP crescut) ori modificări ecocardiografice. În această categorie sunt incluși și pacienții cu BCR încadrată la risc foarte înalt, precum și cei cu risc cardiovascular crescut calculat prin scoruri validate.

Stadiul 4 – Boală cardiovasculară clinică

Pacienți simptomatici cu boală coronariană aterosclerotică, insuficiență cardiacă, accident vascular cerebral, boală arterială periferică sau fibrilație atrială, care prezintă în paralel criterii din stadiile 1–2.

• Stadiul 4a: fără insuficiență renală.

• Stadiul 4b: cu insuficiență renală asociată.

Screening-ul sindromului CRM

Având în vedere că sindromul CRM are un caracter progresiv și acoperă practic întreaga viață a unui individ, strategiile de screening trebuie să includă atât populația pediatrică, cât și pe cea adultă. În pediatrie, accentul trebuie pus pe aceiași parametri ca la adult – măsurători antropometrice, tensiune arterială, profil metabolic– însă la intervale de timp adaptate vârstei și nivelului de risc. Această abordare permite identificarea precoce a factorilor de risc și intervenția timpurie, înainte de instalarea complicațiilor.

Pentru pacienții adulți (>21 ani), recomandările se fac în funcție de stadiul CRM în care este încadrat pacientul la evaluarea inițială. Ulterior, monitorizarea se adaptează stadiului respectiv. Parametrii esențiali de urmărit sunt:

• Pentru toate stadiile: măsurători antropometrice anuale (IMC și circumferință abdominală).

• Screening pentru componentele sindromului metabolic – tensiune arterială, profil lipidic, profil glicemic:

o Stadiul 0 – la fiecare 3–5 ani

o Stadiul 1 – la fiecare 2–3 ani

o Stadiul 2 – anual

• Evaluarea funcției renale pentru stadializare KDIGO:

o Stadiile 0 și 1 – nu se recomandă de rutină

o Stadiul 2 – anual

• Pacienții cu risc cardiovascular intermediar sau înalt (pe baza scorurilor de risc sau a heatmap-ului KDIGO): se recomandă efectuarea scorului de calciu coronarian pentru identificarea aterosclerozei subclinice (practic, screening pentru stadiul 3).

• Evaluarea insuficienței cardiace subclinice: nu există recomandări ferme, se face la latitudinea medicului (ex. NT-proBNP, ecocardiografie).

Deși nu este menționat explicit în consensul AHA, merită subliniată importanța determinării lipoproteinei(a) cel puțin o dată în viață. Numeroase studii au demonstrat o asociere puternică între nivelurile crescute de Lp(a) și riscul de evenimente cardiovasculare majore. Chiar dacă această valoare nu modifică încadrările clasice de risc din ghiduri, ea oferă clinicianului informații suplimentare care permit o abordare mai personalizată a ghidurilor pentru fiecare pacient.

Management

Strategia de management a sindromului CRM urmează un parcurs logic: mai întâi diagnosticul, apoi stadializarea și, în final, aplicarea unui tratament corespunzător fiecărui stadiu. Una dintre dificultățile practice o reprezintă lipsa unei specialități unice care să preia coordonarea. Îngrijirea pacientului este, inevitabil, multidisciplinară, implicând medicul de familie, cardiologul, nefrologul, diabetologul și nutriționistul. În acest context, riscul ca pacientul să se „piardă între specialități” este semnificativ, motiv pentru care este esențial ca fiecare medic să consemneze în fișa clinică diagnosticul, planul terapeutic și recomandarea de adresare către celelalte specialități.

După identificarea pacientului — preferabil într-o fază incipientă — managementul urmează algoritmul propus de AHA, care se adaptează fiecărui stadiu. Există totuși o recomandare universală, aplicabilă tuturor pacienților indiferent de stadiu: promovarea sănătății cardiovasculare prin cele opt principii fundamentale („Life’s Essential 8”), și anume:

• alimentație sănătoasă,

• activitate fizică regulată,

• somn adecvat,

• menținerea unei greutăți optime,

• controlul tensiunii arteriale,

• controlul glicemiei,

• controlul colesterolului,

• renunțarea la fumat.

În stadiul 0, aceste măsuri reprezintă esența intervenției, iar un element cheie îl constituie informarea pacientului că se află în stadiul 0 al sindromului CRM. Conștientizarea existenței sindromului și a posibilității de progresie este un pas fundamental în prevenție.

În stadiul 1, obiectivul principal este scăderea ponderală și prevenirea apariției factorilor de risc metabolici. Managementul începe prin consilierea pacientului în privința modificării stilului de viață: adoptarea unui regim alimentar echilibrat, reducerea alimentelor ultraprocesate, numărarea caloriilor și instituirea unui program regulat de exerciții fizice, eventual cu sprijinul unui nutriționist. Ținta este o scădere ponderală de cel puțin 5% (ideal 10%). Dacă aceste măsuri nu sunt suficiente, se poate recurge la opțiuni farmacologice. Agoniștii de receptor GLP-1, precum semaglutida sau liraglutida, au revoluționat tratamentul obezității prin scăderea în greutate și beneficiile cardiovasculare demonstrate în studii clinice. Mai recent, agoniștii duali GIP/GLP-1 (ex. tirzepatida) au ridicat standardul în tratamentul farmacologic al obezității. Totuși, în prezent, indicațiile se limitează la pacienții cu IMC ≥30 kg/m². În caz de eșec, chirurgia bariatrică rămâne o alternativă, cu indicații stabilite în funcție de IMC și comorbidități. În subgrupul pacienților cu adipozitate disfuncțională, manifestată prin disglicemie, AHA precizează că se poate lua în considerare inițierea tratamentului cu metformin.

Odată ajuns în stadiul 2, accentul cade pe terapii farmacologice cu efecte cardio- și nefroprotectoare, care să țină sub control factorii de risc metabolici și să încetinească progresia bolii. În cazul dislipidemiei, abordarea începe cu o dietă săracă în grăsimi de origine animală și se continuă cu tratament medicamentos conform ghidurilor curente, folosind statine, ezetimib sau inhibitori PCSK9, în funcție de profilul de risc al pacientului. Hipertrigliceridemia izolată rămâne un marker important de risc: valorile >500 mg/dl justifică tratamentul cu fi-

brați, iar la pacienții cu diabet și valori între 150–499 mg/dl se recomandă administrarea de acizi grași omega-3.

Controlul tensiunii arteriale este esențial, cu țintă sub 130/80 mmHg, conform ghidurilor ESC/ESH. Prioritatea se acordă inhibitorilor SRAA (IECA sau sartani) la pacienții cu albuminurie și/sau boală cronică de rinichi.

În diabetul zaharat, aproape toți pacienții sunt considerați cel puțin cu risc cardiovascular moderat, motiv pentru care statina este aproape universal recomandată. Alegerea terapiei hipoglicemiante trebuie ghidată de comorbidități: agoniștii GLP-1 sunt preferați la pacienți cu obezitate marcată și control glicemic insuficient, iar iSGLT2 la cei cu boală cronică de rinichi, pentru efectul lor nefroprotector.

În boala cronică de rinichi, toți pacienții trebuie să primească doza maxim tolerată de inhibitor SRAA asociată cu un iSGLT2, indiferent de prezența sau absența diabetului. Studiile recente au confirmat că iSGLT2 oferă protecție renală semnificativă și trebuie inițiați la un RFG >20 ml/min/1,73m². Creșterea tranzitorie a creatininei serice după inițiere este un fenomen cunoscut și nu contraindică continuarea tratamentului.

În stadiul 3, managementul vizează identificarea și tratarea precoce a aterosclerozei și insuficienței cardiace subclinice. Acești pacienți au de regulă criterii de stadiu 1 sau 2, dar la evaluare prezintă dovezi de afectare cardiovasculară fără manifestări clinice evidente. Exemplele includ un scor de calciu coronarian crescut, leziuni aterosclerotice depistate prin angio-CT coronarian sau coronarografie, ori modificări ecocardiografice sugestive pentru disfuncție cardiacă incipientă. Tot aici sunt incluși pacienții cu BCR încadrată la risc foarte înalt conform clasificării KDIGO sau cei cu risc cardiovascular calculat ca fiind crescut pe baza scorurilor validate. În acest stadiu, pe lângă continuarea măsurilor generale și optimizarea tratamentului factorilor de risc metabolici, devine esențială intervenția farmacologică intensivă pentru prevenirea progresiei spre evenimente clinice. Statinele cu potență mare și terapia combinată pentru atingerea țintelor de LDL-colesterol sunt obligatorii. În cazul pacienților cu diabet, inhibitorii SGLT2 și agoniștii

GLP-1 cu beneficii cardiovasculare documentate sunt de primă intenție, iar în boala cronică de rinichi, utilizarea inhibitorilor SRAA și SGLT2 trebuie maximizată. În plus, trebuie avută în vedere detectarea și tratarea disfuncției ventriculare incipiente, pentru a preveni instalarea insuficienței cardiace manifeste.

Stadiul 4 reprezintă momentul în care pacientul dezvoltă manifestări clinice ale bolii cardiovasculare: sindrom coronarian cronic, insuficiență cardiacă, accident vascular cerebral, boală arterială periferică sau fibrilație atrială, asociate cu criterii de stadiu 1 sau 2.

AHA propune o împărțire a acestui stadiu în două subcategorii, cu relevanță practică:

• Stadiul 4a: boală cardiovasculară clinică fără insuficiență renală asociată;

• Stadiul 4b: boală cardiovasculară clinică în prezența BCR.

Această distincție este importantă deoarece prezența insuficienței renale agravează prognosticul și modifică strategiile terapeutice. Managementul în stadiul 4 este complex și presupune aplicarea tuturor recomandărilor ghidurilor pentru fiecare entitate clinică în parte (boală coronariană, insuficiență cardiacă, aritmii, accident vascular cerebral), dar întotdeauna într-o abordare integrată, care să ia în calcul comorbiditățile metabolice și renale. Alegerea terapiei farmacologice trebuie să țină cont de interacțiunile dintre aceste patologii și de particularitățile pacientului cu sindrom CRM.

Un element crucial rămâne coordonarea interdisciplinară: cardiologul, nefrologul și diabetologul trebuie să colaboreze în definirea obiectivelor terapeutice, iar pacientul trebuie instruit să înțeleagă complexitatea bolii sale. În acest stadiu, scopul nu mai este doar prevenția primară, ci și prevenirea complicațiilor recurente și a progresiei spre insuficiență multiplă de organ.

Direcții de viitor

și concluzii

Sindromul cardio-reno-metabolic reprezintă o paradigmă nouă, care redefinește modul în care privim relația dintre factorii metabolici, boala cronică de rinichi și patologia cardiovasculară. Introducerea acestei noțiuni de către

AHA a atras un interes crescut la nivel internațional, însă în prezent există încă o lipsă de uniformizare în ceea ce privește abordarea sa. Societatea Europeană de Cardiologie nu a emis până acum un consens oficial dedicat sindromului CRM, abordările fiind limitate la prezentări izolate în cadrul congreselor. O inițiativă europeană comună, care să reunească cardiologia, nefrologia și diabetologia, ar fi esențială pentru creșterea nivelului de conștientizare și pentru integrarea acestui concept în practica clinică. O astfel de colaborare ar putea consolida poziția CRM ca instrument util în prevenția cardiovasculară, orientând clinicianul către o abordare mai holistică a pacientului.

O altă direcție importantă ține de instrumentele de predicție a riscului cardiovascular. Timp de decenii, modelele utilizate — precum Framingham Risk Score sau mai recent SCORE2, SCORE2-OP și SCORE2-Diabetes, recomandate de ESC — au ghidat strategii eficiente de prevenție, însă s-au concentrat exclusiv pe riscul aterosclerotic. Într-un context epidemiologic în care insuficiența cardiacă și boala cronică de rinichi au o prevalență și un impact asupra mortalității în continuă creștere, integrarea acestor entități în modelele de predicție a devenit imperativă. Astfel, versiunile actuale ale SCORE2 și SCORE2-OP includ deja posibilitatea de a adăuga parametri precum rata de filtrare glomerulară estimată (eGFR) și albuminuria, reflectând mai fidel riscul global al pacientului. În paralel, în Statele Unite a fost dezvoltat scorul PREVENT, care estimează riscul de evenimente cardiovasculare la 10 și 30 de ani și, pentru prima dată, integrează în mod explicit riscul de insuficiență cardiacă, alături de factorii tradiționali și condițiile CKM. Deși acest instrument nu este încă validat pentru populația europeană, el reprezintă un exemplu concret al direcției spre care se îndreaptă medicina preventivă.12

În concluzie, sindromul cardio-reno-metabolic oferă un cadru conceptual care unifică trei domenii patologice majore și care are potențialul de a remodela prevenția și tratamentul bolilor cardiovasculare. Integrarea sa în practica medicală necesită nu doar colaborare interdisciplinară la nivelul fiecărui pacient, ci și o coordonare între societățile științi-

Articole de

fice internaționale. Dezvoltarea unor instrumente de stratificare a riscului care să reflecte complexitatea sindromului și implementarea timpurie a intervențiilor validate pot transforma acest concept într-un pilon central al medicinei cardiovasculare moderne.

Bibliografie

1. Whitlock G, Lewington S, Sherliker P, Clarke R, Emberson J, Halsey J, Qizilbash N, Collins R, Peto R; Prospective Studies Collaboration. Body- mass index and cause-specific mortality in 900 000 adults: collaborative analyses of 57 prospective studies. Lancet. 2009;373:1083–1096. doi: 10.1016/ S0140-6736(09)60318-4

2. Salehidoost R, Mansouri A, Amini M, Aminorroaya Yamini S, Aminorroaya A. Diabetes and all-cause mortality, a 18-year follow-up study. Sci Rep. 2020;10:3183. doi: 10.1038/s41598020-60142-y

3. Turin TC, Tonelli M, Manns BJ, Ravani P, Ahmed SB, Hemmelgarn BR. Chronic kidney disease and life expectancy. Nephrol Dial Transplant. 2012;27:3182–3186. doi: 10.1093/ndt/ gfs052

4. Afkarian M, Sachs MC, Kestenbaum B, Hirsch IB, Tuttle KR, Himmelfarb J, de Boer IH. Kidney disease and increased mortality risk in type 2 diabetes. J Am Soc Nephrol. 2013;24:302–308. doi: 10.1681/ASN.2012070718

5. Ndumele CE, Rangaswami J, Chow SL, Neeland IJ, Tuttle KR, Khan SS, Coresh J, Mathew RO, Baker-Smith CM, Carnethon MR, Després JP, Ho JE, Joseph JJ, Kernan WN, Khera A, Kosiborod MN, Lekavich CL, Lewis EF, Lo KB, Ozkan B, Palaniappan LP, Patel SS, Pencina MJ, Powell-Wiley TM, Sperling LS, Virani SS, Wright JT, Rajgopal Singh R, Elkind MSV; American Heart Association. Cardiovascular-Kidney-Metabolic Health: A Presidential Advisory From the American Heart Association. Circulation. 2023 Nov 14;148(20):1606-1635. doi:10.1161/CIR.0000000000001184

6. Ndumele CE, Neeland IJ, Tuttle KR, Chow SL, Mathew RO, Khan SS, Coresh J, Baker-Smith CM, Carnethon MR, Després JP, Ho JE, Joseph JJ, Kernan WN, Khera A, Kosiborod MN, Lekavich CL, Lewis EF, Lo KB, Ozkan

B, Palaniappan LP, Patel SS, Pencina MJ, Powell-Wiley TM, Sperling LS, Virani SS, Wright JT, Rajgopal Singh R, Elkind MSV, Rangaswami J; American Heart Association. A Synopsis of the Evidence for the Science and Clinical Management of Cardiovascular-Kidney-Metabolic (CKM) Syndrome: A Scientific Statement From the American Heart Association. Circulation. 2023 Nov 14;148(20):1636-1664. doi:10.1161/CIR.0000000000001186

7. Eneanya ND, Allen NB, Sinha A, et al. Prevalence of Cardiovascular-Kidney-Metabolic Syndrome in US Adults: Estimates From NHANES 2011-2020. JAMA. 2024;332(8):703–714. doi:10.1001/jama.2024.1333

8. Marassi, M., Fadini, G.P. The cardio-renal-metabolic connection: a review of the evidence. Cardiovasc Diabetol 22, 195 (2023). https://doi. org/10.1186/s12933-023-01937-x

9. Kim J-A, Montagnani M, Koh KK, Quon MJ. Reciprocal relationships between insulin resistance and endothelial dysfunction. Circulation. 2006;113:1888–904.

10. Jepson C, Hsu JY, Fischer MJ, Kusek JW, Lash JP, Ricardo AC, et al. Incident type 2 diabetes among individuals with CKD: findings from the chronic renal insufficiency co-

hort (CRIC) study. Am J Kidney Dis. 2019;73:72–81.

11. Fliser D, Pacini G, Engelleiter R, Kautzky-Willer A, Prager R, Franek E, et al. Insulin resistance and hyperinsulinemia are already present in patients with incipient renal disease. Kidney Int. 1998;53:1343–7.

12. Khan, S.; Coresh, J.; Pencina, M.J.; Ndumele, C.E.; Rangaswami, J.; Chow, S.L.; Palaniappan, L.P.; Sperling, L.S.; Virani, S.S.; Ho, J.E.; et al. Novel prediction equations for absolute risk assessment of total cardiovascular disease incorporating cardiovascular-kidney-metabolic health: A scientific statement from the American Heart Association. Circulation 2023, 48, 1982–2004

13. Sebastian SA, Padda I, Johal G. Cardiovascular-Kidney-Metabolic (CKM) syndrome: A state-ofthe-art review. Curr Probl Cardiol. 2024;49(2):102344. doi:10.1016/j. cpcardiol.2023.102344.

14. Mutruc V, Bologa C, Șorodoc V, Ceasovschih A, Morărașu BC, Șorodoc L, Catar OE, Lionte C. Cardiovascular–Kidney–Metabolic Syndrome: A New Paradigm in Clinical Medicine or Going Back to Basics? Journal of Clinical Medicine. 2025; 14(8):2833. https://doi.org/10.3390/jcm14082833

SUDDEN DEATH SCREENING

Prevenția Morții Subite Cardiace

SDS este un instrument unic care detectează instantaneu modificările patologice pentru a evalua riscul de moarte subită, principala cauză de deces la sportivii tineri. Prevenția Morții Subite Cardiace (SDS) e un modul opțional pentru EKG de repaus, Test de Stres și Sistem CPET.

Evaluare

în 5 minute

Diagnosticare automată cu acuratețe de 98%

Eliminarea rezultatelor fals pozitive 98%

100% conform Criteriilor Seattle

MOARTEA SUBITĂ CARDIACĂ ÎN RÂNDUL TINERILOR

Moartea subită cardiacă (MSC) reprezintă principala cauză a mortalității în timpul activităților fizice intense la tineri. Cel mai frecvent mecanism al apariției MSC este cel aritmic, care survine în cadrul unor boli congenitale (cardiomiopatia hipertrofică, displazia aritmogenă a ventriculului drept, cardiomiopatia dilatativă sau diverse canalopatii) sau dobândite, care nu au fost sau nu au putut fi diagnosticate la timp. Tulburările de conducere, asemeni sindromului Wolff-Parkinson-White, trebuie luate în considerare. Activitățile sportive cresc riscul de moarte subită cardiacă de 2,8 ori și reprezintă 80% din cauzele deceselor.

ELIMINAREA REZULTATELOR FALS POZIT

Sindromul inimii de atlet se regăsește la peste 60% dintre atleți. Acesta reprezintă o asociere de modificări structurale și funcționale la nivelul cordului. Apare în rândul persoanelor care depun efort fizic intens pentru o perioadă lungă de timp. Utilizarea Criteriilor Seattle reduce erorile de diagnosticare de la 17% la 4,2%

ECG HOLTER

Precizie Maximă Într-un

Timp Redus

Înregistrare Holter evaluată într-un timp redus și cu acurateţe maximă? Holterul BTL a fost special conceput pentru a reduce timpul de lucru al medicului.

Calitate excepţională a semnalului

Calitate excepțională a semnalului chiar și în condiții solicitante (de exemplu tahicardie sau mișcări rapide).

Vizualizare rapidă a anomaliilor

BTL Holter oferă o varietate de instrumente moderne care afișează înregistrarea completă pe un singur ecran cu maximum de detalii.

Calitate excepțională a semnalului EKG

Evaluare rapidă

Concluzie medicală în două clickuri Nu pierdeți timp prețios tastând. Concluzia este predefinită cu valorile corecte în urma analizei medicului.

Utilizare pediatrică

BTL Holter EKG a fost certificat pentru utilizare chiar și la copiii cu greutatea sub 10 kg.

Utilizare adulți și copii

SIGURANȚA DIAGNOSTICĂRII CU HOLTERUL EKG

În timpul evaluării, unele patologii pot fi greu de depistat. Instrumentele avansate de evaluare previn omiterea acestora, sporind siguranţa diagnosticării. Eforturile noastre de a oferi cea mai bună detecție posibilă a fibrilației atriale au dus la o precizie de 99,5%, chiar și la pacienții cu o formă paroxistică a tulburării. Vizualizează toate tulburările de ritm dintr-o înregistrare completă într-un singur grafic și dezvăluie detaliile acestora cu un singur click

SHipertensiunea arterială și apneea în

somn în

As. Univ. Dr. Dragoș Marcu

UMF “Grigore T.Popa“ Iași

Prof. Univ. Dr. Cătălina Arsenescu Georgescu

UMF „Grigore T. Popa” Iași

indromul de apnee obstructivă în somn (SAOS) reprezintă o tulburare respiratorie frecvent întâlnită, dar subdiagnosticată în rândul persoanelor cu boli cardiovasculare. Prevalența SAOS este raportată între 40% și 80% în cazul acestor pacienți și se asociază frecvent cu hipertensiunea arterială, aritmii, insuficiență cardiacă, precum și cu afecțiuni coronariene și cerebrovasculare. De asemenea, se corelează cu o morbiditate cardiovasculară crescută, un risc major de accident vascular cerebral, precum și cu o mortalitate generală ridicată.

Consecințele fiziopatologice ale SAOS sunt complexe, cu mecanisme incomplet elucidate. Episoadele repetate de apnee/hipopnee determină hipoxie intermitentă, fragmentarea somnului, presiune intratoracică negativă, disfuncție endotelială, activarea sistemului nervos simpatic și a sistemului renină-angiotensină-aldosteron, precum și creșterea stresului oxidativ și a inflamației, ceea ce explică asocierea cu evenimentele cardiovasculare.

Diagnosticul SAOS se stabilește conform criteriilor Academiei Americane de Medicină a Somnului, care urmăresc frecvența și severitatea evenimentelor respiratorii (apnee sau hipopnee) în timpul somnului. Astfel, episoadele apneice obstructive se definesc ca o reducere de ≥ 90% a fluxului de aer timp de minimum 10 secunde. Episoadele de hipopnee presupun o reducere de ≥ 30% a fluxului de aer pentru minimum 10 secunde, asociate cu o desaturare ≥3% și/sau o trezire din somn.

Severitatea SAOS este stabilită pe baza frecvenței evenimentelor înregistrate pe parcursul unei ore de somn, evaluate prin indicele de apnee-hipopnee (AHI), cu următoarele praguri:

practica curentă

• Formă ușoară: AHI 5–15/oră

• Formă moderată: AHI 15–30/oră

• Formă severă: AHI ≥ 30/oră

Polisomnografia (PSG) este standardul de aur în diagnosticul tulburărilor de somn. Aceasta monitorizează activitatea cerebrală, mișcările globilor oculari, activitatea musculară, ritmul cardiac și respirația, în timpul somnului. Efectuarea PSG se face de obicei în cadrul unui laborator de somnologie sub supravegherea directă a unui tehnician, ceea ce o face să fie mai greu accesibilă. Ca variantă alternativă, folosită de asemenea în studii clinice, poligrafia de somn (PG) este un test mai simplu, efectuat frecvent în regim ambulatoriu. PG se concentrează în principal pe parametrii respiratorii și cardiovasculari, pentru a diagnostica apneea de somn.

Datele de literatură indică faptul că SAOS dublează riscul cardiovascular, cerebrovascular și de mortalitate de orice cauză. Fiecare creștere cu 10 unități a numărului de evenimente în somn presupune o creștere de 17% a riscului cardiovascular. De asemenea, femeile prezintă un risc cu 28% mai mare față de bărbați. Riscul de evenimente cardiovasculare aterosclerotice majore, este semnificativ mai mare (valori între 8% și 50%) comparativ cu persoanele fără SAOS, pe o perioadă de urmărire de cinci ani. SAOS crește semnificativ riscul de fibrilație atrială, cât și de recurență a fibrilației atriale după ablație. Relația de cauzalitate este direct proporțională cu severitatea apneei. Incidența insuficienței cardiace este de asemenea crescută, SAOS fiind un predictor independent pentru insuficiența cardiacă incidentă.

Dintre patologiile cardiovasculare asociate SAOS, se observă un risc semnificativ de hipertensiune incidentă. Astfel, aproximativ 50% dintre pacienți vor dezvolta hipertensiune în evoluție. La nivel vascular, SAOS determină remodelare vasculară, inflamație, creșterea grosimii intimă-medie carotidiană și accentuarea rigidității arteriale. Mai mult, formele severe se corelează cu hipertensiunea arterială rezistentă la tratament.

În cazul acestor pacienți, monitorizarea ambulatorie a tensiunii arteriale (ABPM) joacă un rol esențial în ridicarea suspiciunii diagnostice și urmărirea evoluției pacienților. Aceasta este o metodă superioară măsurării ocazionale a tensiunii la cabinetul medical, oferind o imagine completă a profilului tensional. Eficiența sa în diagnosticul, manage-

mentul și urmărirea tratamentului pacientului hipertensiv este subliniată și de către indicațiile de ghid European. Avantajele de eliminare a efectului de „halat alb”, identificare a hipertensiunii mascate, precum și de evaluare a riscului cardiovascular prin profilul de dipping sunt esențiale în practica clinică. ABPM, în cazul pacientului cu SAOS, relevă preponderent profiluri tensionale de tip nondipper sau chiar revers-dipper. Clinicianul care observă acest profil de dipping ar trebui să îndrume pacientul către o evaluare pneumologică de somnologie, pentru confirmarea sau infirmarea suspiciunii diagnostice.

Legătura dintre cele două patologii este bidirecțională, screeningul fiind esențial. Astfel, în fața unui pacient cu hipertensiune rezistentă sau cu profil non-dipper la ABPM se recomandă screening pentru SAOS. Totodată, pentru un pacient diagnosticat cu apnee în somn se impune monitorizarea riguroasă a tensiunii arteriale, ideal prin ABPM, pentru a evalua riscul cardiovascular și a adapta tratamentul.

Terapia de primă linie pentru formele moderate și severe de SAOS este reprezentată de ventilația cu presiune pozitivă continuă (CPAP). Această intervenție asigură eliminarea episoadelor de apnee obstructivă sau hipopnee, ameliorarea oxigenării nocturne și a stabilității hemodinamice, precum și îmbunătățirea calității somnului, funcției neurocognitive, stării de spirit și a calității generale a vieții. Terapia CPAP, aplicată corect și susținut, duce la ameliorări ale funcției endoteliale și reducerea rigidității arteriale. Corecția eficientă a SAOS determină reducerea tensiunii arteriale nocturne și restaurarea parțială a scăderii fiziologice nocturne. În concluzie, SAOS reprezintă un factor de risc semnificativ, dar modificabil pentru bolile cardiovasculare. Abordarea modernă a pacientului cardiovascular și în special a pacientului hipertensiv, impune ridicarea suspiciunii diagnostice și integrarea screeningului pentru SAOS în procesul diagnostic. Acest lucru este cu atât mai important în cazul pacienților cu hipertensiune rezistentă, sau alte boli cardiovasculare asociate apneei de somn. Evaluarea promptă a somnului și inițierea precoce a terapiei CPAP cu monitorizarea aderenței precum și terapiile active de scădere a riscului cardiovascular reprezintă un pas esențial în managementul multidisciplinar al pacientului cardiovascular.

Messer Medical Home Care Ro este parte a grupului Messer, grup internațional de origine germană cu o vechime de peste 100 de ani și 6.000 de angajați la nivel mondial.

Înființată în 2018, Messer Medical Home Care Ro activează în prezent cu două linii de business. Prima, formată din dispozitivele pentru oxigenoterapie de lungă durată la domiciliu (OLD) – concentratoarele de oxigen, este dedicată persoanelor cu afecțiuni respiratorii. A doua linie de business, ceva mai complexă, este formată atât din echipamente de diagnostic cât și din dispozitive și accesorii pentru tratamentul Sindromului de Apnee în Somn (SAS).

Messer Medical Home Care RO SRL

Str. Drumul între Tarlale nr. 102-112, Corp B1.1. RO-032982, București, Sector 3, România

Tel: +40 21 529 55 65, +40 720 49 99 49

Fax: +40 31 425 35 77

E-mail: mgr@messermedical.ro

Cardiologul în fața obezității:

risc, responsabilitate,

intervenție

Obezitatea a devenit, în ultimele decenii, una dintre cele mai mari provocări de sănătate publică la nivel mondial. Cu o prevalență aflată în creștere constantă, afectând toate categoriile de vârstă, excesul ponderal nu mai este doar o problemă estetică sau metabolică, ci o boală cronică, cu implicații multisistemice profunde.

DMedic primar Cardiologie, Spitalul Universitar de Urgență București, CorePrime Clinic

in punctul de vedere al cardiologului, obezitatea este un factor de risc cardiovascular - unii îl încadrează chiar ca fiind major, cu impact semnificativ asupra prognosticului pacientului. Deși consecințele sale metabolice – cum ar fi diabetul zaharat sau dislipidemia – sunt bine cunoscute, tot mai multe date arată că obezitatea în sine afectează inima și vasele de sânge, independent de alte comorbidități.

Cardiologii, tradițional concentrați pe tratamentul complicațiilor cardiovasculare, sunt tot mai des puși în fața necesității de a recunoaște, evalua și contribui activ la tratamentul obezității. Nu este suficient să gestionăm doar hipertensiunea sau insuficiența cardiacă – trebuie să înțelegem și să abordăm etiologia comună care le alimentează: obezitatea.

Impactul obezității asupra sistemului

cardiovascular

Excesul de țesut adipos induce o serie de modificări fiziopatologice care afectează direct sistemul cardiovascular. La nivel sistemic, obezitatea se asociază cu o stare de inflamație cronică de grad scăzut, activare neurohormonală (inclusiv hiperactivarea sistemului simpatic și a sistemului renină-angiotensină-aldosteron) și disfuncție endotelială – toate acestea favorizând dezvoltarea și progresia bolilor cardiovasculare.

Din punct de vedere clinic, obezitatea contribuie la apariția și agravarea mai multor patologii cardiace:

- Hipertensiunea arterială apare frecvent în contextul obezității, prin retenție de sodiu, creșterea debitului cardiac și activarea neurohormonală.

- Obezitatea, în special cea centrală, este principalul factor de risc pentru sindromul de apnee obstructivă în somn (SAOS). Prevalența SAOS la pacienții cu obezitate ajunge până la 70–80%, iar în rândul celor cu insuficiență cardiacă sau hipertensiune arterială rezistentă, este semnificativ mai mare decât în populația generală.

- Boala coronariană este accelerată de inflamația sistemică și de profilul lipidic aterogen, deseori asociat cu obezitatea abdominală.

- Insuficiența cardiacă cu fracție de ejecție păstrată (HFpEF) este strâns legată de obezitate, în special la femeile de vârstă medie, și se manifestă prin intoleranță la efort și congestie în absența disfuncției sistolice.

- Fibrilația atrială are o prevalență crescută în rândul pacienților care trăiesc cu obezitate, în parte datorită modificărilor structurale atriale și inflamației.

- Cardiomiopatia legată de obezitate, un diagnostic relativ nou, reflectă remodelarea miocardică specifică excesului ponderal sever.

Important de reținut este că riscul cardiovascular crește progresiv, odată cu indicele de masă corporală (IMC) și, mai ales, cu creșterea circumferinței abdominale – un marker mai fidel al obezității viscerale și al riscului metabolic asociat. Astfel, obezitatea nu este doar un „însoțitor” al bolii cardiovasculare – ci adesea unul dintre factorii cauzali principali care trebuie recunoscuți și tratați ca atare.

Evaluarea pacientului cu obezitate în cabinetul de cardiologie

Evaluarea pacientului cu obezitate începe cu recunoașterea activă a obezi-

tății ca boală. De multe ori, pacienții nu sunt conștienți de gradul sau implicațiile excesului ponderal, iar medicii pot ezita să abordeze acest subiect din teama de stigmatizare. Totuși, cardiologul are un rol-cheie în identificarea precoce și în inițierea unui plan de monitorizare.

Primul pas este evaluarea simplă, dar esențială, a IMC-ului și a circumferinței abdominale. IMC-ul oferă o estimare globală a gradului de obezitate, în timp ce circumferința taliei reflectă mai fidel riscul metabolic, în special atunci când depășește 102 cm la bărbați și 88 cm la femei.

În multe cazuri, nici IMC-ul și nici chiar circumferința taliei nu reflectă cu acuratețe distribuția masei grase și nu poate distinge între obezitate sarcopenică și o compoziție musculară normală. De

Dr. Claudiu Stoicescu

O evaluare cardiologică completă a pacientului cu obezitate include:

- Profil metabolic complet: glicemie, HbA1c, profil lipidic complet – inclusiv APO B și Lp(a), transaminazele hepatice

- Tensiune arterială măsurată corect (cu manșetă adecvată)

- Deși SAOS este apanajul somnologilor și pneumologilor, cardiologii sunt deseori primii care pot ridica suspiciunea, pe baza simptomelor și comorbidităților pacientului. Iată câteva instrumente de screening rapid: Scala STOP-Bang (Snoring, Tiredness, Observed apneas, high blood Pressure, BMI, Age, Neck circumference, Gender) și Scala Epworth pentru somnolență

- ECG și ecocardiografie: pentru depistarea hipertrofiei ventriculare stângi, disfuncției diastolice sau a semnelor de cardiomiopatie

- Test de efort sau, și mai adecvat, test cardio-pulmonar - pentru evaluarea toleranței la efort și detectarea ischemiei silențioase. Aici sunt necesare laboratoare cu aparatură adecvată – mai degrabă bicicletă decât bandă de efort

- Scoruri de risc cardiovascular: precum SCORE2, deși acestea pot subestima riscul real în prezența obezității centrale

aceea, în completarea evaluării clasice, sunt utile metode moderne de analiză a compoziției corporale:

InBody (bioimpedanță multifrecvență) este o metodă rapidă, accesibilă și non-invazivă, care oferă estimări ale masei grase, musculare și ale apei corporale. Poate fi utilizată ușor în ambulatoriu pentru monitorizarea evoluției sub tratament.

DEXA (absorptiometrie duală cu raze X) este considerată standardul de aur, oferind o evaluare precisă a masei adipoase, inclusiv a grăsimii viscerale – un marker direct al riscului cardiometabolic. Este însă mai costisitoare și mai puțin disponibilă.

InBody este utilă pentru screening și urmărire, iar DEXA poate fi indicată în cazuri cu risc crescut, suspiciune de obezitate sarcopenică sau înaintea deciziilor terapeutice majore (de ex. chirurgie bariatrică). O evaluare completă a compoziției corporale ajută la o înțelegere mai nuanțată a riscului cardiovascular și la personalizarea tratamentului.

Monitorizarea regulată a acestor parametri permite nu doar evaluarea riscu-

lui actual, ci și urmărirea răspunsului la intervențiile terapeutice.

Intervenția terapeutică din partea cardiologului

Tratamentul obezității din perspectiva cardiologului presupune o abordare integrată, care combină intervenția stilului de viață cu medicația specifică și, la nevoie, trimiterea către chirurgia bariatrică.

Consilierea pacientului

Un prim pas esențial este construirea unei relații de încredere. Discuția trebuie purtată cu empatie, evitând stigmatizarea sau învinovățirea pacientului. Este important ca mesajul să sublinieze faptul că o reducere de doar 5–10% din greutatea corporală poate duce la beneficii semnificative: scăderea TA, îmbunătățirea profilului lipidic, reducerea inflamației și ameliorarea simptomelor cardiace. Con-

silierea nutrițională este extrem de importantă, cu beneficii bine cunoscute ale dietei mediteraneene sau dietei DASH.

Tratamentul specific obezității

În ultimii ani, terapiile pentru obezitate au evoluat semnificativ. Agoniștii receptorului GLP-1 (precum semaglutida) au demonstrat nu doar eficiență în reducerea greutății, ci și beneficii cardiovasculare directe, inclusiv reducerea evenimentelor majore (MACE). Acestea pot fi recomandate pacienților cu obezitate și boli cardiovasculare documentate, în colaborare cu medicul diabetolog sau endocrinolog.

În ultimii ani, tratamentul obezității a cunoscut o transformare semnificativă, depășind paradigma intervențiilor exclusiv comportamentale. Noile direcții terapeutice integrează mecanisme neurohormonale complexe și aduc beneficii cardiovasculare directe.

- Agoniști GLP-1 de generație nouă: Molecule precum semaglutida (s.c. și orală) și tirzepatida (agonist dual GLP-1/GIP) au demonstrat o eficiență superioară în reducerea ponderală, cu pierderi de până la 15–20% din greutatea corporală. Acestea oferă și protecție cardiovasculară (date disponibile pentru moment doar în dreptul semaglutidei), fiind deja recomandate la pacienții cu DZ tip 2 și risc CV înalt dar și celor care nu au DZ – dar cu risc CV înalt sau foarte înalt. Există și alte molecule din această clasă în dezvoltare

• Pe cale orală: orforglipron (un agonist GLP-1 oral, non-peptidic) și danuglipron deschid calea pentru terapii accesibile și mai convenabile.

• Dual sau trireceptorii: retatrutide (agonist GLP-1, GIP, glucagon), survodutide (agonist dual GLP-1/glucagon), mazdutide și pemvidutide – ambii agoniști duali GLP-1/glucagon oferă un impact metabolic profund, integrând controlul apetitului cu creșterea consumului energetic.

• Combinații inovatoare: CagriSemacombinație GLP-1 + amilină (semaglutidă + cagrilintid) aduce suplimentar amilina la acțiunea GLP-1.

• Forma injectabilă avansată: VK2735agonist dual GLP-1/glucagon deschide posibilitatea unor noi opțiuni adaptate nevoilor și toleranței pacienților.

- Microbiomul intestinal: Modularea florei intestinale (prin probiotice, prebiotice sau transplant fecal) este o arie de interes pentru reducerea inflamației sistemice și îmbunătățirea sensibilității la insulină – însă este încă în fază de dezvoltare.

- Dispozitive și intervenții endoscopice: Tehnici minim invazive, cum ar fi balonul intragastric sau plicaturile gastrice endoscopice, reprezintă alternative intermediare între tratamentul medicamentos și chirurgia bariatrică.

- Terapie digitală și inteligență artificială: Aplicațiile mobile, platformele de telemedicină și algoritmii de coaching nutrițional automatizat devin instrumente complementare în susținerea aderenței la tratament și modificarea comportamentului alimentar.

Aceste direcții oferă cardiologului perspective noi în abordarea pacientului cu obezitate, integrând medicina personalizată și inovația în practica clinică.

Tratamentul bolilor cardiovasculare

la pacientul cu obezitate trebuie

adaptat cu atenție:

Medicația pentru controlul TA include: IECA sau sartanii dar și blocanții canalelor de calciu ori diureticele; un rol important pentru acest grup populațional îl joacă agoniștii centrali ai sistemului simpatic.

Statinele rămân esențiale, dar deseori acești pacienți au nevoie de adăugarea rapidă în schema de tratament a ezetimibului sau a modulatorilor de PCSK9.

La pacienții cu HFpEF și obezitate, diureticele sunt utile pentru controlul simptomelor, însă nu influențează prognosticul. Tratamentul cu inhibitorii de SGLT-2 reprezintă un standard, indiferent de subgrupul de IC abordat.

Pacienții cu suspiciune clinică de SAOS trebuie trimiși pentru poligrafie respiratorie nocturnă (screening) sau polisomnografie completă (standardul de aur). Tratamentul CPAP reduce TA, frecvența aritmiilor și îmbunătățește funcția ventriculară la pacienții cu ICF.

Chirurgia bariatrică Pentru pacienții cu obezitate severă (IMC >40, sau

>35 cu comorbidități), chirurgia bariatrică devine o opțiune terapeutică eficientă. Studiile arată că intervențiile bariatrice (gastric sleeve, bypass gastric) pot reduce semnificativ incidența evenimentelor cardiovasculare și pot ameliora insuficiența cardiacă, hipertensiunea și diabetul. Însă, în era medicației inovatoare pentru control al greutății (semaglutida, tirzepatida) tot mai puțini pacienți ajung la intervenția chirurgicală.

Colaborarea

multidisciplinară și prevenția

Gestionarea eficientă a obezității necesită o abordare centrată pe pacient și susținută de o echipă multidisciplinară. Cardiologul are o poziție privilegiată în această rețea, fiind adesea primul specialist care observă complicațiile majore ale obezității. Cardiologul nu trebuie să abordeze singur problema obezitații, așa cum alt specialist nu trebuie să ignore cardiologul în luarea celor mai bune decizii pentru pacienții cu obezitate. O echipă ideală include: medicul de familie, nutriționistul, psihologul, diabetologul, endocrinologul, gastroenterologul, pneumologul și chirurgul bariatric. Rolul cardiologului este de a integra aceste resurse și de a încuraja pacientul să acceseze sprijinul adecvat.

Coordonarea între specialități este esențială pentru a atinge obiectivele terapeutice. Un plan integrat poate include:

- Evaluare nutrițională și consiliere personalizată

- Suport psihologic pentru modificarea comportamentelor alimentare

- Monitorizarea metabolică și hormonală

- Intervenții farmacologice și chirurgicale individualizate

Pe lângă tratament, prevenția obezității devine tot mai importantă. Cardiologii pot contribui activ prin:

- Educație continuă a pacienților despre riscurile obezității

- Identificarea precoce a pacienților cu risc crescut (ex. istoric familial, sedentarism, alimentație dezechilibrată)

- Încurajarea modificărilor stilului de viață, chiar și în stadii incipiente de creștere ponderală

Un pacient informat este un pacient mai motivat. Cardiologul poate transforma o consultație de rutină într-o oportunitate de prevenție cardiovasculară reală.

Concluzii

și mesaje cheie

Obezitatea este o boală complexă, cu multiple implicații cardiovasculare, care depășesc cu mult ideea de „exces de greutate”. Dincolo de riscul metabolic, obezitatea modifică profund structura și funcția sistemului cardiovascular, crescând riscul de hipertensiune, insuficiență cardiacă, boală coronariană și tulburări de ritm.

Pentru cardiolog, abordarea obezității presupune mai mult decât tratarea complicațiilor – implică o atitudine proactivă în screening, evaluare, consiliere și management terapeutic. Tratamentul eficient poate reduce substanțial povara cardiovasculară și poate îmbunătăți calitatea vieții pacienților.

Mesaje cheie pentru practica clinică:

- Evaluați activ greutatea și riscul cardiovascular la pacientul cu obezitate

- O reducere de doar 5–10% a greutății aduce beneficii cardiace importante.

- GLP-1 RA oferă opțiuni farmacologice eficiente, cu efecte CV dovedite.

- Chirurgia bariatrică este o opțiune validă pentru cazurile severe, cu beneficii CV demonstrate.

- Colaborarea interdisciplinară și prevenția rămân pilonii managementului modern al obezității

„A trata inima înseamnă, tot mai des, a trata greutatea.”

Sisteme Holter ECG și monitorizare ambulatorie TA

Sisteme full disclosure Holter ECG: EC-2H, EC-3H, EC-12H și sistem combinat E

&TA: EC 3H/ABP (Labtech, Ungaria). Monitorizare 1-30 zile pe 2/3/12 canale, modul respirație, apnee de somn, senzor de mișcare.

Sisteme de monitorizare ambulatorie a tensiunii pe 24-51 ore: ABPM-05, ABPM-06 (Meditech, Ungaria). Metoda de măsurare oscilometrică, tolerantă la mișcare. So�ware în limba română

Dopplex ABIlity (Huntleigh, Anglia)

Sistem de măsurare automată a indicelui gleznă/braț folosind metoda plethismografiei de volum, u�lizând 4 manșete bicamerale. Înregistrează unda puls-volum la gleznă, un ajutor important pentru diagnosticarea clinică. Opțional: imprimantă termică

PC ECG EC-12R, EC-12R/S, EC-12S (Labtech, Ungaria)

Sisteme ECG computerizate cu 12 canale de repaus și efort cu programe speciale de recuperare cardiacă. Comunicarea cu calculatorul prin bluetooth dedicat via USB standard, permite mișcarea liberă a pacientului și monitorizarea comodă a fazei derevenire (eventual culcat pe un pat). Concepția inova�vă permite efectuareași a unor teste nestandardizate. Protocoalele integrate permit comandaautomată a majorității tipurilor de cicloergometre și covoare.

Sistemul EC-12S are integrat un modul automat de monitorizare a tensiunii.

Arteriograph (Tensiomed, Ungaria)

Sistem simplu, user-independent, pentru măsurarea funcției arteriale (s�ffness). Măsoară simultan presiunea arterială centrală și periferică, indicele gleznă/braț (ABI), indicele de augmentație (Aix), viteza undei de puls (PWVao), durata de ejecție a ventriculului stâng (ED). Evaluează vârsta arterială a pacientului.

ECG Cardiofax: 2250, 3350 (Nihon Kohden, Japonia)

Electrocardiografe clasice cu 6, 12 canale. Ambele �puri achizi ționează semnalele ECG pe 12 canale afișate simultan pe display LCD. Tipărire pe hâr�e termosensibilă pe grupe de 6, 12 canale (în funcție de model). Analiză și diagnos�c automat. Funcționează cu baterie sau conectate la rețea.

Cicloergometre Ergoselect (Ergoline, Germania)

Cicloergometre cu diverse performanțe pentru testare la efort. Comandate automat prin diverse modele de electrocardiografe clasice sau computerizate

Un nou orizont în abordarea patologiilor cardiovasculare ș i neurologice

AspiVita100 o formulă inovativă cu eliberare controlată conține Nattokinază, serin-proteaza care a revoluționat lumea medicală prin selectivitatea înaltă pentru acumulările proteice cu potențial patogenic și prin profilul de siguranță.

AspiVita100 raspunde nevoilor profilactice și terapeutice din afecțiunile cronice vasculare cu potențial trombotic ridicat, în hipertensiunea arterială și în bolile neurodegenerative printr-un cumul deosebit de avantaje:

• Este singura enzimă fibrinolitică activă după administrare orală

AspiVita100 conține nattokinază încapsulată într-o formă cu eliberare controlată, care asigură protecția sa împotriva degradării gastrice și eliberarea treptată la nivel intestinal, pentru un efect fibrinolitic prelungit.

• Mecanism fibrinolitic și antiagregant plachetar cunoscut

Nattokinaza are un mecanism fibrinolitic dual: atât direct (asupra fibrinei), cât și indirect (prin activarea plasminei).

Profil de siguranţă ridicat: nu afectează coagularea fiziologică și sinteza normală a fibrinei

• Siguranță la grupele de risc

Studiile clinice au demonstrat siguranța administrarii, chiar și în doze de 6.000 UF, împreună cu: aspirină, clopidogrel, warfarină sau heparine injectabile la pacienții cu AVC1. De asemenea, administrarea este sigură la pacienții diabetici2 și dializați3

Motivele includerii

cu

succes a Aspi Vita 100 în planul de prevenţie

tratament al pacienţilor cu risc de tromboze ș i accidente vasculare:

• Eficacitate în dizolvarea trombilor: nivelul produșilor de degradare ai fibrinei (PDF) crește treptat4 cu până la 21,2% după administrarea orală a 2000 UF (unităţi fibrinolitice) de nattokinază

• Protecție împotriva aterosclerozei arterei carotide: reduce dimensiunile plăcii de aterom cu până la 36,6% la administrare timp de 6 luni7

• Protecţia sistemului nervos împotriva degradării funcţionale: poate dizolva componentele plăcii de amiloid, indicator precoce al bolii Alzheimer6

• Acţiune antihipertensivă demonstrată5 la pacienţii cu pre-HTA și HTA stadiul 1

Formula inovativă cu eliberare controlată Aspi Vita 100 asigură:

• Profil de siguranţă ridicat: nu afectează coagularea fiziologică și sinteza normală a fibrinei

• Administrare uşoară şi efect prelungit: capsulele AspiVita100 cu eliberare controlată contribuie la menţinerea fluxului sanguin optim pe o perioadă de peste 12 ore

• Produs fabricat sub licență elvețiană exclusiv în Europa sub condiții farmaceutice GMP

1Shah AB., An open clinical pilot study to evaluate the safety and efficacy of natto kinaseas as an add‐on; oral fibrinolytic agent to low molecular weight heparin & anti‐platelets în acute ischeamic stroke, 2004; 2Hitosugi M., Effects of bacillus natto products on blood pressure în patients with lifestyle diseases, 2014; 3Hsia CH., et al, Nattokinase decreases plasma levels of fibrinogen, factor VII and factor VII în human subjects, 2009; 4Kurosawa Y. et al., A single-dose of oral nattokinase potentiates thrombolysis and anticoagulation profiles, 20155Kim JY et al., Effects of nattokinase on blood pressure: a randomized, controlled trial, 2008; 5Kim JY et al., Effects of nattokinase on blood pressure: a randomized, controlled trial, 2008; 6Ruei-Lin Hsu et al., Amyloid-Degrading Ability of Nattokinase from Bacillus subtilis Natto, 2009; 7Ren NN. et al., A clinical study on the effect of nattokinase on carotid artery atherosclerosis and hyperlipidaemia, 2017

Țigara electronică și implicațiile cardiovasculare

Țigara electronică este subiectul la modă al acestor ani. Este un boom în vânzări, adolescentul cu țigara electronică în mână, se constituie într-o nouă poziționare a unei tinere generații în peisajul social actual, unde industria tutunului se regrupează în activitățile de promovare iar lumea medicală este scindată.

SProf. Univ.

Dr. Florin Mihălțan

UMF „Carol Davila”, București

Președintele Societății Române de Pneumologie

e încearcă o integrare a acestei țigări electronice între instrumentele de sevraj oferite unui fumător de țigări convenționale cu o susținere a unui concept de “harm reduction” la care din păcate au aderat doctori de diferite specialități. Poate tocmai de aceea plecând de la punctul de vedere comun emis de Societatea Română de Pneumologie și Societatea Română de Cardiologie, merită să aruncăm o privire asupra efectelor comune cardiopulmonare ale țigării electronice care în nici un caz nu intră în sfera beneficiilor.

Sigur că se poate vorbi de efectele per ansamblu ale țigării electronice, dar având în vedere componentele acesteia, poate că nu ar fi rău să analizăm compușii țigării electronice și consecințele lor. Astfel, o primă evaluare ar trebui făcută legat de: propilen glicol, glicerină vegetală, nicotină, arome și stabilizatori/ umectanți precum triacetina. În ciuda lungii istorii a cercetării nicotinei, înțelegerea rolului nicotinei în bolile cardiopulmonare este extraordinar de dificilă din cauza unor factori precum răspunsurile de sensibilizare și desensibilizare, relațiile complicate doză-răspuns, importanța căii de expunere și a diferențelor de răspuns în funcție de specie, vârstă, sex sau statusul bolii. Și totuși efectele pe sistemul cardio-vascular sunt multiple și complexe.

Nicotina afectează angiogeneza, aritmogeneza, celulele endoteliale, hemodinamica, rezistența la insulină și lipidele, crește tensiunea arterială, ritmul cardiac influențând contractilitatea și travaliul miocardului. Nicotina determină constricție coronariană, reduce rezerva de flux sanguin coronarian și induce constricția vaselor sanguine din piele. Aceste constatări indică un risc potențial de anevrism al aortei abdominale ca urmare a consumului cronic de nicotină. Nicotina promovează, de asemenea, trans-diferențierea celulelor musculare netede vasculare într-un fenotip calcificant prin inducerea unei stări pro-inflamatorii, afectarea funcției endoteliale și provocarea stresului oxidativ. Unele studii au sugerat că nicotina ar putea promova remodelarea țesuturilor și fibroza, deoarece expunerea la nicotină poate deteriora celulele endoteliale și endoteliul în general. Lichidele aromate pentru țigări electronice și aromele individuale sunt un alt capitol care influențează percepția și senzația de siguranță în utilizarea lor și induc toxicitate și/sau exercită efecte biologice. Cu cât un lichid pentru țigări electronice conține mai multe arome, cu atât este mai probabil ca acesta să fie citotoxic; în studii s-a demonstrat că, concentrațiile de aldehidă de vanilină și scorțișoară din lichidele pentru țigări electronice au fost corelate semnificativ cu toxicitatea. Impactul negativ al compușilor aromatizanți din țigările electronice duce la o creștere a atractivității acestor produse, în special pentru tineri. Acestea influențează modelele de utilizare și topografia fumatului dar, concomitent, chiar dacă este mai bine studiat impactul pe aparatul respirator,

aduce modificări ale semnalizării celulare și toxicitate celulară crescută cu posibile implicații și consecințe la nivel de aparat cardiovascular.

Produsele de descompunere termică induc alte probleme. Toate lichidele pentru țigări electronice sunt încălzite și aerosolizate înainte de inhalare într-un mod dependent de dispozitiv. Acest lucru le poate supune unor reacții chimice care permit formarea de noi compuși, inclusiv specii reactive de oxigen (ROS). De exemplu, radicalul hidroxil (OH) a fost produs din propilen glicol/glicerină vegetală la setări de putere mai mari. Compușii carbonilici (exemplu - acetaldehidă, formaldehidă și acroleină) s-au format în aerosolii de lichid pentru țigări electronice ca urmare a deshidratării și oxidării și au depins de raportul propilen glicol/ glicerină vegetală, de puterea utilizată pentru încălzirea lichidului pentru țigări electronice, precum și de alți factori, inclusiv marca și tipul de lichid utilizat.

Atât produsele din tutun convențional, cât și țigările electronice eliberează oxidanți, metale toxice și carbonili cu potențial toxic, asociați cu boli cardiovasculare. Sunt în derulare studii care încearcă să găsească răspunsuri legate de efectele acute, cât și pe termen lung ale țigărilor electronice asupra inimii și vaselor de sânge ale adulților și copiilor sănătoși, precum și a celor cu factori de risc pentru boli cardiovasculare sau cu boli cardiovasculare deja diagnosticate, pentru a determina siguranța comparativă a țigărilor electronice, în raport cu țigările combustibile.

Un alt efect este cel asupra trombocitelor. Activarea și agregarea plachetară au fost crescute în urma expunerii la ex-

tractele de aerosoli pentru țigări electronice. Alături de alte sudii legate de aceste efecte se sugerează un mecanism potențial care ar putea duce la infarct miocardic și accident vascular.

La capitolul efecte hemodinamice și activitate simpatomimetică, alți cercetători au descoperit efecte acute ale utilizării țigărilor electronice asupra ritmului cardiac, atât cu, cât și fără nicotină.

Prin urmare, efectele țigărilor electronice asupra hemodinamicii au fost variabile și ar putea depinde parțial de cantitatea nicotină administrată. Important este că acest lucru ar putea contribui la o creștere simpatomimetică a hipertrofiei ventriculare stângi, remodelare a ventriculului stâng și potențiale tulburări de ritm.

Referitor la mușcchiul cardiac, s-a dovedit că extractele de țigări electronice erau citotoxice pentru mioblastele cardiace și că toxicitatea ar fi putut fi legată de procesul de producție și/sau de prezența diferitelor arome.

Dacă în 2021, autori precum Robert Tarran și colaboratorii, plecând de la o multitudine de studii experimentale, recomandau prudență în abordarea implicațiilor utilizării țigărilor electronice, atât la nivel individual, cât și la nivel populațional, până nu se cunosc principalele efecte asupra sănătății a țigării electronice.

În acest moment dovezile efectelor cardiopulmonare pe loturi umane mari se acumulează de la o zi la alta și demonstrează că, între obiectivele industriei

tutunului și cerințele protecției unei populații expuse la noile oferte ale acesteia, sunt diferențe importante dacă încercăm să judecăm obiectiv consecințele asupra sănătății consumatorului.

Bibliografie

Tarran R, Barr RG, Benowitz NL, Bhatnagar A, Chu HW, Dalton P, Doerschuk CM, Drummond MB, Gold DR, Goniewicz ML, Gross ER, Hansel NN, Hopke PK, Kloner RA, Mikheev VB, Neczypor EW, Pinkerton KE, Postow L, Rahman I, Samet JM, Salathe M, Stoney CM, Tsao PS, Widome R, Xia T, Xiao D, Wold LE. E-Cigarettes and Cardiopulmonary Health. Function (Oxf). 2021 Feb 8;2(2):zqab004. doi: 10.1093/function/zqab004. PMID: 33748758; PMCID: PMC7948134

Zilele Cardiologice

"Prof. Dr. George I. M. Georgescu"

Cazuri disperate în chirurgia cardiacă

– atunci când abordul minim invaziv este soluția

Chirurgia cardiacă minim invazivă reprezintă o revoluție terapeutică majoră ce a transformat abordarea patologiilor cardiace complexe. Această tehnică inovatoare oferă o alternativă valoroasă pacienților care prezintă contraindicații pentru chirurgia convențională prin sternotomie mediană, extinzând semnificativ posibilitățile terapeutice chirurgicale. Evoluția metodelor minim invazive face parte dintr-o abordare de medicină personalizată unde optimizarea raportului beneficiu-risc este prioritară, în special la pacienții vârstnici, fragili sau cu multiple comorbidități care anterior erau excluși de la intervenția chirurgicală.

Dr. Ion Iovu1,

Prof. Univ. Dr. Lucian Dorobanțu1, Dr. Andreea Bogdan1, Dr. Ioana Băjenaru1, Dr. Oana Ioniță1, Dr. Mădălina Cojocaru1, Dr. Toma Iosifescu1, Conf. Dr. Cătălin Badiu1,2,3, Dr. Alexandru Vasilescu1,2

1. Spitalul Nord Pipera – Grupul Medical Provita, București

2. Spitalul Universitar de Urgență, București

3. UMF „Carol Davila”, București

Chirurgia cardiacă minim invazivă a cunoscut o dezvoltare remarcabilă de la primele sale descrieri de către Navia și Cohn în anii 1990. Aceasta devine o soluție terapeutică importantă în managementul afecțiunilor cardiovasculare, în special la pacienții pentru care chirurgia convențională prin sternotomie completă este contraindicată sau prezintă riscuri inacceptabile. Tehnicile de minitoracotomie și ministernotomie oferă o alternativă valoroasă pentru tratarea valvulopatiilor aortică, mitrală și tricuspidă, cardiopatiilor ischemice prin mono bypass, unor malformații cardiace (defect septal interatrial) și excizia formațiunilor de volum intracavitare în populații din ce în ce mai în vârstă și fragile[1,2].

Rezultatele chirurgiei minim invazive sunt echivalente cu cele ale chirurgiei clasice în ceea ce privește eficiența. Ratele mortalității spitalicești raportate pentru chirurgia minim invazivă variază între 1,5% și 4,1% conform multiplelor

studii, fiind comparabile cu cele ale chirurgiei convenționale [2,3,4,5,13]. Avantajele chirurgiei minim invazive includ reducerea duratei spitalizării la 3-5 zile față de 7-14 zile pentru chirurgia convențională. Timpul ventilației mecanice este redus semnificativ. Păstrarea mecanicii respiratorii în lipsa sternotomiei complete contribuie semnificativ la această recuperare optimizată[7,8,9]. Pierderile sanguine perioperatorii sunt diminuate cu 30-50%, reducând necesarul de transfuzie de la 35-50% la 17-25%[6]. Incidența infecțiilor de plagă scade de la 3-5% la 1-2% datorită inciziei mici și conservării sternului. Lipsa mediastinitei, o complicație gravă a sternotomiei, este un avantaj major. Complicațiile de perete toracic sunt rare datorită menținerii integrității sternale[10,11,17,18]. Durerile postoperatorii sunt considerabil reduse, permițând diminuarea administrării analgezicelor cu 50-70%, majoritatea pacienților raportând scoruri inferioare de 4 pe scara numerică. Întoarcerea la activitățile zilnice durează 1-2 săptămâni față de 6-8 săptămâni pentru chirurgia convențională. Această ameliorare se explică prin absența traumei sternale și păstrarea inervației intercostale. Impactul psihologic este de asemenea pozitiv, reducând anxietatea legată de prezența unei cicatrici sternale vizibile[4,7,12]

Chirurgia minim invazivă a valvei mitrale este indicația de referință cu cele mai bune rezultate. Insuficiența mitrală degenerativă este indicația ideală, cu rate de reparație de peste 95% și mortalitate operatorie sub 2%. O meta-analiză recentă care a inclus 129 de pacienți urmăriți timp de 35 luni a raportat o rată a mortalității în spital de 0%, o rată a accidentelor vasculare cerebrale de 0%

și o absență de 98,4% de la reoperare la 5 ani. Durata medie de spitalizare este de 5-7 zile, cu o ședere în unitatea de terapie intensivă de 1-2 zile[1,4,20,22]

Înlocuirea valvulară aortică mini-invazivă prin mini-sternotomie înaltă sau minitoracotomie anterioară dreaptă oferă rezultate echivalente celei convenționale, cu avantajul recuperării între 1 și 2 săptămâni. Aceste abordări sunt indicate atât pacienților tineri care doresc să evite o cicatrice mediană mare cât și la pacienții vârstnici cu risc operator crescut. Anevrismul aortic ascendent de diametru moderat (40-45 mm) poate fi tratat concomitent în timpul intervenției valvulare mini-invazive[15,16,17].

Revascularizarea coronariană minim invazivă se adresează pacienților cu leziuni pe artera interventriculară anterioară care au contraindicații pentru sternotomie convențională. Abordarea hibridă combină MIDCAB și angioplastie pentru revascularizare completă la pacienții multivasculari cu risc crescut pentru bypass convențional[1,2].

Aceste tehnici, însă, necesită o expertiză chirurgicală sporită, instrumente specializate, sisteme avansate de imagistică, tehnici adaptate de circulație extracorporeală și o curbă de învățare[13,14]. Selecția adecvată a pacienților este esențială pentru succesul tehnicilor minim invazive. Majoritatea pacienților, indiferent de vârstă, mărime, comorbidități sau morfologie, sunt accesibili acestor tehnici. Totuși, o evaluare preoperatorie riguroasă este indispensabilă pentru optimizarea rezultatelor. Imagistica preoperatorie joacă un rol crucial în selecția pacienților. Tomografia computerizată permite evaluarea anatomiei aortei și arterelor femurale și relația acestora cu

Fig. 1 Ecocardiografie transtoracică preoperatorie

Fig. 3 Examen CT nativ *săgeata indică hernia gastrică gigantă

Fig. 5 Ecocardiografie transtoracică postoperatorie

structurile adiacente, pentru alegerea căii optime de acces și anticiparea dificultăților tehnice[6,14,19]

Chirurgia minim invazivă este indicată și la pacienții pentru care sternotomia convențională prezintă riscuri majore sau este imposibilă. Pacienții cu risc chirurgical ridicat, evaluați prin scoruri precum EuroSCORE >20% și STS score >10%, reprezintă o indicație importantă pentru tehnici minim invazive. Anumite afecțiuni anatomice fac sternotomia dificilă sau periculoasă. Deformările sternale majore, obezitatea morbidă (IMC >40 kg/m²), antecedentele de chirurgie a mediastinului anterior sunt situații în

Fig. 2 Radiografie toracica, incidenta postero-anterioară

Fig. 4 Ecocardiografie transesofagiană intraoperatorie

Fig. 6 Radiografie toracică, incidență postero-anterioară

care abordul minim invaziv este preferat pentru evitarea complicațiilor și accesul adecvat. Insuficiența respiratorie severă reprezintă o indicație specială a minitoracotomiei, care păstrează integritatea cutiei toracice și funcția pulmonară postoperatorie. Pacienții cu fragilitate sternală constituie o populație țintă privilegiată. Această fragilitate poate fi rezultatul mai multor factori: osteoporoză severă, antecedente de corticoterapie prelungită, vârstă înaintată cu demineralizare osoasă sau utilizarea ambelor artere mamare la o intervenție anterioară. În aceste contexte, riscul de dehiscență sternală postoperatorie poate

atinge 5-8%, justificând, astfel, utilizarea tehnicilor minim invazive[2,6,9]

În ciuda versatilității lor, tehnicile minim invazive prezintă contraindicații absolute și relative care trebuie respectate pentru siguranța pacienților. Limitările sunt date de durata crescută a timpilor de clampare și perfuzie extracorporeală, vizibilitatea restrânsă. Contraindicațiile absolute includ antecedente de toracotomie dreaptă pe partea accesului, calcificarea severă a inelului mitral care face imposibilă expunerea tehnică și necesitatea unei intervenții combinate pe arterele coronare. Endocarditele complicate cu abcese și fistule complexe necesită adesea sternotomie largă. Contraindicațiile relative cuprind arteriopatia periferică severă care complică canularea femurală, hipertensiunea pulmonară ireversibilă severă peste 60 mmHg și boli pulmonare grave care afectează toleranța la ventilația selectivă. Fracția de ejecție ventriculară stângă sub 30% este, de asemenea, o contraindicație relativă care necesită evaluare individuală[5,10].

Având în vedere cele spuse anterior, echipa HeartTeam joacă un rol esențial în abordarea corectă a fiecărui pacient în parte.

Unul din multiplele exemple în care chirurgia cardiacă minim invazivă are beneficiu major ar fi cel al unui pacient de 81 ani, cunoscut cu regurgitare mitrală severă simptomatică, regurgitare aortică și tricuspidă moderată, hipertensiune pulmonară ușoară, prezentat în clinica noastră pentru reevaluare și tratament de specialitate. Ecocardiografia transtoracică preoperatorie documentează un ventricul stâng dilatat și concentric hipertrofiat, cu funcție sistolică normală, fără tulburare de cinetică segmentară sau globală. Ventricul drept ușor dilatat cu funcție sistolică normală. Dilatare de atriu stâng (AS) semnificativă. Regurgitare mitrală severă cu jet excentric ce se mulează pe peretele posterior al AS, probabil ruptură de cordaj A2, prolaps A1-P1. Regurgitare aortică medie, Regurgitare tricuspidiană ușoară, (Fig. 1, 4). Prezintă un pat coronarian cu distribuție echilibrată, fără stenoze decelabile angiografic.

În cursul internării, pacientul a fost diagnosticat cu hernie gastrică transhiatală gigantă, diagnostic stabilit oportunist, urmare completării protocolului

Fig. 8. Ecocardiografie Doppler preoperatorie

preoperator cu radiografie toracică (Fig. 2), ulterior - examen CT (Fig. 3).

Având în vedere accesul dificil prin sternotomie dat de anatomia particulară intratoracică și complicațiile respiratorii posibile s-a intervenit chirurgical și s-a practicat plastie valvulară mitrală prin scurtarea unui cordaj primar la nivel A2 și anuloplastie cu inel Physio II nr. 34, prin minitoracotomie dreaptă. Controlul intraoperator ecografic documentează plastie normofuncțională, funcție biventriculară păstrată, iar sevrarea de circulație extracorporeală fiind facilă. Evoluția postoperatorie a fost una favorabilă, pacient transferat pe secție în ziua 2 postoperator, stabil din punct de vedere hemodinamic și respirator, plagă în curs de vindecare. Radiografia de control și ecocardiografia denotă o evoluție paraclinică bună (Fig 5,6). Pacientul se externează în ziua 7 postoperator. Un alt caz reprezentativ cu indicație pentru abord minim invaziv - pacient adresat în clinica noastră în vârsta de 56 ani, cunoscut cu regurgitare mitrală primară severă prin prolaps de ambe cuspe, regurgitare tricuspidiană moderată, funcție biventriculară normală (Fig.7,8), flutter atrial tipic. Din antecendente personale patologice menționăm ciroza

Fig. 8. Ecocardiografie Doppler preoperatorie

Fig. 10 Pacient postoperator in sectia de terapie intensiva. Aspect abdomen marit in volum in ciroza hepatica decompensata cu ascita in cantitate mare; Eventratie abdominala

hepatică toxic nutrițională Child C decompensată, cu indicație de transplant hepatic, lichid de ascită în cantitate mare, boală renală cronică stadiul G3a, eventrație abdominală de mari dimensiuni și ocluzie intestinală operată. Prezintă artere epicardice fără leziuni semnificative. Având în vedere comorbiditățile importante ale pacientului, riscul de sângerare major în caz de chirurgie convențională, complicații respiratorii posibile prin scăderea volumului respirator dat de poziția înaltă a diafragmului și complicații infecțioase evidente în caz de insuficiență hepatică, în cadrul echipei HeartTeam s-a luat decizia de a interveni chirurgical prin abord minim invaziv, cu efectuare de anuloplastie mitrală cu inel Physio II Nr. 36, prin minitoracotomie dreaptă. Postoperator, pacientul a prezentat evoluție lent favorabilă, fără sângerare postoperatorie, pacient extubat la 23 ore postoperator (Fig. 10). Ecocardiografic postoperator prezintă o regurgitare tricuspidiană gr II, regurgitare mitrală minimă reziduală, funcție bună biventriculară (Fig. 9). Hepatic, pacientul s-a prezentat staționar, cu transaminaze nemodificate comparativ cu valorile preoperatorii, cu sindrom de colestază important, staționar. Valorile trombocitelor

menținându-se între 37.000 și 60.000, leucopenie ușoară pe tot parcursul sejurului, sindrom inflamator în regresie. Renal, pacientul a prezentat o evoluție favorabilă, cu valori de creatinină la externare de 1.29mg/dl. Pacientul a fost externat din clinica noastră în ziua 8 postoperator, vindecat chirurgical, urmând să fie transferat în altă clinică în vederea evaluării funcției hepatice și oportunității transplantului hepatic.

Concluzie

Chirurgia cardiacă minim invazivă oferă o opțiune sigură și eficientă pentru pacienții fragili, cu comorbidități importante, care contraindică chirurgia clasică sau ale căror riscuri perioperatorii sunt extrem de mari. Această abordare combină rezultate clinice comparabile postoperatorii precoce și pe termen lung cu recuperarare mai rapidă, evitarea complicațiilor asociate chirurgiei convenționale la pacienții vulnerabili, durere redusă și beneficii estetice importante. Dezvoltarea tehnologiilor avansate și organizarea centrelor de excelență vor extinde indicarea acestei metode, contribuind la o chirurgie cardiacă mai puțin invazivă și mai adaptată la nevoile și particularitățile fiecărui pacient.

Fig. 7. Ecocardiografie preoperatorie (a nota prolapsul important al ambelor cuspe mitrale)
Fig. 9. Ecocardiografie postoperatorie A: cuspe alineate la planul inelului mitral B: reconstrucție 3D

LAMPĂ de examinare și mici intervenții - ACEMST35 (Italia)

Creată pentru a asigura condiții de lucru optime și confort vizual în orice situație, garantând totodată o iluminare perfectă pentru orice tip de examinare sau intervenție și orice tip de țesuturi de tratat.

• Matrice cu 84 de LED-uri distribuite în 21 de clustere care generează un fascicul de lumină optim prin controlul direcționat al aprinderii/stingerii LED-urilor individuale din grupul optic.

• Tehnologie capacitivă Cypress pentru gestionarea tuturor funcțiilor lămpii printr-o simplă atingere.

• Iluminare perfectă uniformă, cu lumină albă strălucitoare, temperatură de culoare ajustabilă, eliminare automată a umbrelor, adâncime îmbunătățită a luminii, fascicul de lumină reglabil preferențial.

• Redare excelentă a culorilor și index excelent de reproducere a nuanțelor de roșu.

• Vizibilitate perfectă a contrastelor și o diferențiere optimă a diverselor țesuturi de tratat.

• PREMIUM: Sistem inovator pentru dezinfectarea automată a suprafețelor iluminate (ASP – Automatic Sanitizing Program), eficient în reducerea prezenței bacteriilor, virusurilor, sporilor, mucegaiurilor, fungilor și agenților patogeni, și inclusiv împotriva virusului COVID-19; ASP contribuie la descompunerea compușilor organici volatili, responsabili pentru mirosurile neplăcute.

MASĂ CU ÎNCLINARE pentru FLEBOLOGIE ȘI CARDIOLOGIE (Germania)

Special creată pentru a asigura condiții optime de tratament, datorită reglării electrice lejere și fără trepte, accesoriilor ergonomice și utilizării facile.

Disponibilă în diverse versiuni: cu 2 sau 3 secțiuni ale topului capitonat; cu înălțime reglabilă sau fixă (930 mm) a poziției orizontale.

Varianta pentru Flebologie are topul din 2 secțiuni și dispune de reglare electrică continuă a înălțimii și a înclinării, cu ajutorul motoarelor silențioase controlate prin pulsații cu aer declanșate de la comutatoarele din pedale.

Suplimentar, dispune de protecții laterale anticădere, tijă suplimentară extensibilă pentru sprijin, suport pentru tălpi, decupaj pentru vârful picioarelor, bază cu picioare reglabile. Varianta pentru Cardiologie este gândită special pentru efectuarea testului mesei

înclinate, o procedură specifică de evaluare a presiunii sângelui la schimbarea poziției, și poate dispune sau nu de decupaj echo.

În plus față de accesoriile variantei pentru Flebologie, varianta pentru Cardiologie dispune și de un insert capitonat pentru închiderea decupajului echo.

DEFIBRILATOR CARDIO-AIDTM 360-B (Ungaria)

Indicat pentru intervenție de urgență sau terapeutică, acest defibrilator clinic bifazic este complet echipat. Are funcție AED integrată, pentru a putea salva vieți chiar și asistentele. Este foarte util în monitorizarea funcțiilor vitale după momentul resuscitării. Poate funcționa în mod sincron sau asincrom, are control semiautomat sau manual, timp scurt de încărcare, funcții de alarmare, înregistrator de înaltă rezoluție cu 3 canale, pacemaker transcutanat opțional, ECG standard integrat cu 12 derivații, ecran color grafic LCD de 7’. Opțional, dispune de SpO2, NIBP, ETCO2, măsurare IBP pe 2 canale.

București, Str. Giuseppe Garibaldi nr. 8-10 sector 2, 020223

Tel.: +40 314 250226/27

Fax: +40 372 560250 office@medicalmall.ro www.medicalmall.ro Timișoara, Str. Martir Cernăianu, nr. 18, jud. Timiş, 300361

Tel.: +40 720 393269 Fax: +40 356 110233

Fax: +40 372 560250 office@medicalmall.ro www.medicalmall.ro

Bibliografie

[1] Lawrence H. Cohn, David H. Adams, Cardiac Surgery in the adult, 5e,

[2]Langer NB, Argenziano M. Minimally Invasive Cardiovascular Surgery: Incisions and Approaches. Methodist Debakey Cardiovasc J. 2016 Jan-Mar;12(1):4-9. doi: 10.14797/mdcj-12-1-4. PMID: 27127555; PMCID: PMC4847968.

[3]Zaouter C, Oses P, Assatourian S, Labrousse L, Rémy A, Ouattara A. Reduced Length of Hospital Stay for Cardiac Surgery-Implementing an Optimized Perioperative Pathway: Prospective Evaluation of an Enhanced Recovery After Surgery Program Designed for Mini-Invasive Aortic Valve Replacement. J Cardiothorac Vasc Anesth. 2019 Nov;33(11):3010-3019. doi: 10.1053/j.jvca.2019.05.006. Epub 2019 May 11. PMID: 31153719.

[4]Nakayama T, Nakamura Y, Yasumoto Y, Yoshiyama D, Kuroda M, Nishijima S, Ito Y, Tsuruta R, Hori T. Early and midterm outcomes of minimally invasive mitral valve repair via right mini-thoracotomy: 5-year experience with 129 consecutive patients. Gen Thorac Cardiovasc Surg. 2021 Aug;69(8):1174-1184. doi: 10.1007/s11748020-01573-2. Epub 2021 Jan 5. PMID: 33400202; PMCID: PMC8282559.

[5] Malik MI, Loshusan B, Chu MWA. Learning Curve Analysis of Minimally Invasive Mitral Valve Repair. Innovations (Phila). 2025 May-Jun;20(3):297-303. doi: 10.1177/15569845251337406. Epub 2025 May 22. PMID: 40401414; PMCID: PMC12264299.

[6] Vollroth M, Seeburger J, Garbade J, Borger MA, Misfeld M, Mohr FW. Conversion rate and contraindications for minimally invasive mitral valve surgery. Ann Cardiothorac Surg. 2013 Nov;2(6):853-4. doi: 10.3978/j.issn.2225-319X.2013.10.15. PMID: 24349996; PMCID: PMC3857042.

[7] Jiang T, Ting A, Leclerc M, Calkins K, Huang J. Regional Anesthesia in Cardiac Surgery: A Review of the Literature. Cureus. 2021 Oct 15;13(10):e18808. doi: 10.7759/ cureus.18808. PMID: 34804666; PMCID: PMC8590887.

[8] Akowuah EF, Maier RH, Hancock HC, Kharatikoopaei E, Vale L, Fernandez-Garcia C, Ogundimu E, Wagnild J, Mathias A, Walmsley Z, Howe N, Kasim A, Graham R, Murphy GJ, Zacharias J; UK Mini Mitral Trial Investigators. Minithoracotomy vs Conventional Sternotomy for Mitral Valve Repair: A Randomized Clini-

cal Trial. JAMA. 2023 Jun 13;329(22):19571966. doi: 10.1001/jama.2023.7800. PMID: 37314276; PMCID: PMC10265311.

[9] Claessens J, Rottiers R, Vandenbrande J, Gruyters I, Yilmaz A, Kaya A, Stessel B. Quality of life in patients undergoing minimally invasive cardiac surgery: a systematic review. Indian J Thorac Cardiovasc Surg. 2023 Jul;39(4):367-380. doi: 10.1007/ s12055-023-01501-y. Epub 2023 Apr 3. PMID: 37346428; PMCID: PMC10279589.

[10] Phan K, Xie A, Tsai YC, Black D, Di Eusanio M, Yan TD. Ministernotomy or minithoracotomy for minimally invasive aortic valve replacement: a Bayesian network meta-analysis. Ann Cardiothorac Surg. 2015 Jan;4(1):3-14. doi: 10.3978/j.issn.2225319X.2014.08.01. PMID: 25694971; PMCID: PMC4311162.

[11] Svensson LG. Minimally invasive surgery with a partial sternotomy „J” approach. Semin Thorac Cardiovasc Surg. 2007 Winter;19(4):299-303. doi: 10.1053/j.semtcvs.2007.10.004. PMID: 18395628.

[12] Atluri P, Stetson RL, Hung G, Gaffey AC, Szeto WY, Acker MA, Hargrove WC. Minimally invasive mitral valve surgery is associated with equivalent cost and shorter hospital stay when compared with traditional sternotomy. J Thorac Cardiovasc Surg. 2016 Feb;151(2):385-8. doi: 10.1016/j. jtcvs.2015.08.106. Epub 2015 Sep 5. PMID: 26432722.

[13] Ong ZX, Wu D, Luo H, Chang G, Sazzad F, Sule JA, Hu P, Kofidis T. Comparison of the safety and efficacy between minimally invasive cardiac surgery and median sternotomy in a low-risk mixed Asian population in Singapore. Singapore Med J. 2022 Nov;63(11):641-648. doi: 10.11622/ smedj.2021136. Epub 2021 Oct 4. PMID: 34602601; PMCID: PMC9815174.

[14] Ko K, Verhagen AFTM, de Kroon TL, Morshuis WJ, van Garsse LAFM. Decision Making during the Learning Curve of Minimally Invasive Mitral Valve Surgery: A Focused Review for the Starting Minimally Invasive Surgeon. J Clin Med. 2022 Oct 11;11(20):5993. doi: 10.3390/jcm11205993. PMID: 36294310; PMCID: PMC9604391.

[15] Hlavicka J, Janda D, Budera P, Tousek P, Maly M, Fojt R, Linkova H, Holubec T, Kacer P. Partial upper sternotomy for aortic valve replacement provides similar mid-term outcomes as the full sternotomy. J Thorac Dis. 2022 Apr;14(4):857-865. doi: 10.21037/jtd-21-1494. PMID: 35572904; PMCID: PMC9096275.

[16] Khalid S, Hassan M, Ali A, Anwar F, Siddiqui MS, Shrestha S. Minimally invasive approaches versus conventional sternotomy for aortic valve replacement in patients with aortic valve disease: a systematic review and meta-analysis of 17 269 patients. Ann Med Surg (Lond). 2024 Jun 4;86(7):40054014. doi: 10.1097/MS9.0000000000002204. PMID: 38989160; PMCID: PMC11230795.

[17]Brocki BC, Thorup CB, Andreasen JJ. Precautions related to midline sternotomy in cardiac surgery: a review of mechanical stress factors leading to sternal complications. Eur J Cardiovasc Nurs. 2010 Jun;9(2):77-84. doi: 10.1016/j.ejcnurse.2009.11.009. Epub 2010 Jan 3. PMID: 20051323.

[18] Chaves AJ Junior, Avelino PS, Lopes JB. Comparison of the Effects of Full Median Sternotomy vs. Mini-Incision on Postoperative Pain in Cardiac Surgery: A Meta-Analysis. Braz J Cardiovasc Surg. 2024 May 15;39(4):e20230154. doi: 10.21470/16789741-2023-0154. PMID: 38748974; PMCID: PMC11095119.

[19] Kirov H, Caldonazo T, Runkel A, Fischer J, Tasoudis P, Mukharyamov M, Cancelli G, Dell’Aquila M, Doenst T. Percutaneous Versus Surgical Femoral Cannulation in Minimally Invasive Cardiac Surgery: A Systematic Review and Meta-Analysis. Innovations (Phila). 2024 May-Jun;19(3):247-253. doi: 10.1177/15569845241241534. Epub 2024 Apr 11. PMID: 38604983; PMCID: PMC11385621.

[20]Amin A, Kumar R, Mokhtassi SS, Alassiri AK, Odaman A, Khan MAR, Lakshmana S, Din ZU, Acharya P, Cheema HA, Nashwan AJ, Khan AA, Hussain A, Bhudia S, Vincent RP. Minimally invasive vs. conventional mitral valve surgery: a meta-analysis of randomised controlled trials. Front Cardiovasc Med. 2024 Aug 12;11:1437524. doi: 10.3389/fcvm.2024.1437524. PMID: 39188318; PMCID: PMC11345173.

[21] Kirov H, Caldonazo T, Mukharyamov M, Toshmatov S, Fleckenstein P, Kyashif T, Siemeni T, Doenst T. Cardiac Surgery 2024 Reviewed. Thorac Cardiovasc Surg. 2025 Aug;73(5):332-345. doi: 10.1055/a-25484098. Epub 2025 Mar 27. PMID: 40148129.

[22]Percy E, Hirji SA, Yazdchi F, McGurk S, Kiehm S, Cook R, Kaneko T, Shekar P, Pelletier MP. Long-Term Outcomes of Right Minithoracotomy Versus Hemisternotomy for Mitral Valve Repair. Innovations (Phila). 2020 Jan/Feb;15(1):74-80. doi: 10.1177/1556984519891966. Epub 2020 Jan 20. PMID: 31957524.

Sincopa pediatrică și semnificația ei

Sincopa pediatrică este cel mai frecvent o sincopă reflexogenă mediată neural cu istoric de rezoluție spontană. Sincopa este definită ca pierderea tranzitorie a stării de conștiență cu debut brusc. La copii, sincopa este cel mai adesea benignă vasovagală sau ortostatică. Rareori poate fi un eveniment foarte serios, amenințător de viață, în cazul sincopei cardiace prin disritmii, anomalii structurale cardiace.

MD, PhD, RN, Disciplina Nursing, Facultatea de Asistență Medicală și Științele

Sănătății, UMF ”Iuliu Hațieganu” Cluj-Napoca

Evaluarea inițială a sincopei pediatrice presupune anamneză și examen clinic amănunțit cu măsurarea tensiunii arteriale în clino- și ortostatism și efectuarea unei electrocardiograme.

Pacientul pediatric cu sincopă va fi referit cardiologului în cazul unei suspiciuni de sincopă cardiacă ridicată de anameză și/sau examenul clinic, în cazul unui ECG anormal, în sincopa vasovagală sau ortostatică recurentă neresponsivă la tratamentul non-farmacologic.

Peste 15% dintre copii au dezvoltat un episod sincopal cel puțin o dată până la sfârșitul adolescenței.

Abstract

Pediatric syncope is most commonly reflex-mediated and typically resolves spontaneously. It is defined as a transient loss of consciousness with sudden onset. In children, syncope is usually benign, most often vasovagal or orthostatic in origin. Rarely, it may indicate a serious, potentially life-threatening condition, such as cardiac syncope resulting from

arrhythmias or structural heart disease.

The initial evaluation of pediatric syncope should include a thorough medical history and physical examination, blood pressure measurement in both supine and standing positions, and an electrocardiogram.

Referral to a pediatric cardiologist is warranted when cardiac syncope is suspected based on history and/or clinical examination, in the presence of abnormal ECG findings, or in cases of recurrent vasovagal or orthostatic syncope unresponsive to non-pharmacological management.

It is estimated that over 15% of children will experience at least one syncopal episode by the end of adolescence.

Sincopa este definită ca o pierdere tranzitorie a stării de conștiență (PTSC) din cauza hipoperfuziei cerebrale, caracterizată prin debut brusc, durată scurtă și recuperare spontană, completă(1)

Sincopa are multe trăsături comune cu alte tulburări, toate încadrate sub denumirea de pierdere tranzitorie a stării de conștiență (PTSC), toate făcând parte din diagnosticul diferențial al sincopei. Sincopa poate apărea la orice vârstă; 40% din populație a prezentat cel puțin o sincopă în cursul vieții.

PTSC netraumatică include: a) sincopa de cauză: - reflexogenă - hipotensiune ortostatică - cardiacă b) crize epileptice: - generalizate - parțiale - atone

c) cauze psihogene:

- pseudosincopa psihogenă

- convulsii psihogene nonepileptice(2)

d) de cauze neurologice (practic inexistente la copii):

- AIT vertebrobazilar

- hemoragia subarahnoidiană

Clasificarea sincopei conform Ghidurilor ESC(1) și a Ghidurilor de Pediatrie(2) prezintă:

A) Sincopa reflexă (mediată neural)

A.1. Vasovagală:

- ortostatică

- emoțională: durere somatică sau viscerală, teamă, instrumentare medicală

A.2. Situațională:

- micțională

- tuse, strănut, râs, etc.

- stimulare gastrointestinală (înghițire, defecare etc.)

A.3. Sindromul de sinus carotidian

B) Sincopa cauzată de hipotensiunea ortostatică (HO)

B.1. - indusă medicamentos (vasodilatatoare, diuretice, antidepresive)

B.2. – prin depleție volemică (deshidratare prin lipsă de aport, diaree severă, vărsături incoercibile)

B.3. – prin disfuncție autonomă (HO neurogenă) injurii ale măduvei, diabet, amiloidoză, diverse neuropatii(3)

C) Sincopa cardiacă

C.1. Aritmii drept cauză primară

C.1.1. Bradicardie severă (boală de nod sinusal, tulburări de conducere atrio-ventriculară)

C.1.2. Tahicardie (supraventriculară, ventriculară)

Conf. Univ.
Dr. Angela Butnariu
MD, PhD, Centrul Medical Pediatrie-Cardiologie Cluj-Napoca
Dr. Alexandru Munteanu

Istoric de boală cardiacă sau ECG anormal

Pierderea cunoștinței cu durată mai mult de câteva secunde

sau pacientul prezintă mișcări (contracturi) anormale

Precipitată de ridicatul în picioare brusc sau statul îndelung în ortostatism

C.2. Boli cardiace structurale (cardiomiopatia hipertrofică, stenoza aortică, tamponada pericardică, anomalii congenitale ale arterelor coronare, tumori intracardiace ca de exemplu mixomul intraatrial).

C3. Boli cardio-pulmonare și ale vaselor mari: embolia pulmonară, hipertensiunea pulmonară, disecția de aortă.

Majoritatea sincopelor pediatrice sunt vasovagale sau ortostatice.

Sincopa pediatrică este rareori cauzată de condiții cardiace amenințătoare de viață cum ar fi anomaliile structurale ale cordului sau aritmiile.

Sincopa pediatrică este un eveniment comun; aproximativ 15% dintre copii experimentează un episod sincopal înainte de sfârșitul adolescenței(3,5)

Diagnosticul diferențial al sincopei pediatrice presupune excluderea convul-

Da Consult specialist cardiolog

Nu

Da Vezi convulsii afebrile Nu

Da Probabil sincopă ortostatică

Nu Probabil sincopă vasovagală

siilor, migrenei, hipoglicemiei, expunerea la toxice (exemplu: monoxid de carbon, clonidină, etc.) dezordini funcționale (HY), narcolepsia(4).

Evaluarea inițială a sincopei presupune:

- anamneză amănunțită cu precizarea unei sincope inițiale sau repetitive, circumstanțele de apariție, descrierea sincopei propriu-zise de către anturaj;

- examen clinic amănunțit cu măsurarea tensiunii arteriale în clino- și ortostatism;

- electrocardiograma (ECG); În funcție de informațiile furnizate de cele de mai sus, dacă este necesar se vor adiționa:

- monitorizare ECG (suspiciune de aritmii cardiace)

- ecocardiografie (boli structurale cardiace)

- la adolescente se va lua în considerare testul de sarcină.

O schemă algoritmică va orienta atitudinea inițială în fața sincopei, ca în figura 1.

Când trebuie să intervină cardiologul în cazul copilului cu sincopă

- în suspiciunea ridicată de anamneză de sincopă cardiacă

- în caz de examen clinic cardiovascular anormal

- în cazul unui traseu ECG anormal

- la copiii cu sincopă vasovagală sau ortostatică recurentă care nu răspund la tratamentul non-farmacologic(6,7)

Bibliografie

1. 2018 Guidelines for Diagnosis/Management of Syncope. ESC Clinical Practice Guidelines. Eur Heart J 2018, 39(21):18831948. doi: 10.1093/eurheartj/ehy037. https://www.escardio.org

2. Clinical practice guidelines – Syncope. https://www.rch.org

3. Salerno JC, Waltham MA. Causes of syncope in children and adolescents. Up to Date. https://www.uptodate.com

4. Côté JM - Syncope in children and adolescents: Evaluation and treatment. Paediatr Child Health. 200;6 :549–551. doi: 10.1093/ pch/6.8.549

5. Zavala R, Metais B, Tukfield L et al. Pediatric Syncope: A Systematic Review. Pediatr Emerg Care. 2020;36:442-445 doi:10.1097/ PEC.0000000000002149.

6. Zang Q, Du J, Wang Ch et al. The diagnostic protocol in children and adolescents with syncope: a multi-centre prospective study. Acta Paediatr. 2009;98:879-84. doi: 10.1111/j.1651-2227.2008.01195.x. Epub 2009 Jan 15.

7. Steward JM, Van Dijk G, Balji S et al. A framework to simplify paediatric syncope diagnosis. Eur J Pediatr. 2023;182:47714780. doi: 10.1007/s00431-023-05114-w.

Figura 1

Este desigur,

Efect intensiv, rapid și menținut de reducere a LDL-C1,2*

•>62% reducere LDL-C

•Efect maxim la 4 săptămâni

•Menținut peste 4 ani1,2

Singurul LLT, alături de statine, asociat cu o reducere a mortalității din toate cauzele1,2†

•15% RRR mortalitatea din toate cauzele1

Demonstrat că ajută pacienții să atingă nivelul LDL-C țintit3‡

•95% dintre pacienții SCA au atins obiectivul LDL-C3

Recunoscut cu pro l de siguranță pe termen lung1

Administrare unică¥ lunară cu stiloul injector destinat pacienților dumneavoastră care necesită o reducere a LDL-C cu >60%2,4

*Praluent a redus semni cativ riscul de MACE (criteriul principal de evaluare) în populația totală a studiului (N=18924) din ODYSSEY OUTCOMES (15% RRR, HR 0,85 (95% CI 0,78, 0,93), P=0,0003) și a fost asociat cu o reducere a mortalității din toate cauzele (15% RRR, HR 0,85 (95% CI 0,73, 0,98), P=0,0261) cu o semni cație statistică doar nominală prin testare ierarhică. 62,7% reducere a LDL-C comparativ cu placebo la 4 luni în cadrul studiului ODYSSEY OUTCOMES. 4 săptămâni pentru a atinge efectul maxim bazat pe sumarul a zece teste clinice de fază 3 (cinci controlate cu placebo, cinci controlate cu ezetimib) la pacienții cu risc CV mare și foarte mare. Reducerea nivelului LDL-C s-a menținut la 54,5% relativ la placebo după 4 ani la pacienții care au avut un eveniment ACS în cadrul studiului ODYSSEY OUTCOMES. ‡ O analiză post-hoc care a utilizat date din studiul clinic ODYSSEY OUTCOMES. Cu Praluent 94,6% dintre pacienți au obținut LDL-C 1,4 mmol/L la ≥1 măsurat după nivelul inițial vs. 17,3% cu placebo.3 ¥ Pentru pacienții care necesită o reducere a LDL-C cu >60%, PRALUENT este singurul PCSK9i care oferă o singură injecție lunară într-un singur stilou preumplut.2 SCA= sindrom coronarian acut; CI= interval de încredere; CVOT= studiu privind rezultatele cardiovasculare; HR= raportul de risc; LDL-C= colesterol lipoproteine cu densitate scăzută; LLT= terapie hipolipemiantă; MACE= eveniment cardiovascular major; PCSK9i= inhibitor de proteină convertază subtilizină/kexină tip 9; RRR= reducerea riscului relativ. Referințe: 1. Schwartz GG, Steg PG, Szarek M, et al. Alirocumab and cardiovascular outcomes after acute coronary syndrome. N Engl J Med. 2018;379(22):2097-2107. 22. 2. Praluent Rezumatul caracteristicilor produsului, data revizuirii textului noiembrie 2024. 3. Landmesser U, McGinnissJ, Steg PG, et al. Achievement of ESC/EAS LDL-C treatment goals after an acute coronary syndrome with statin and alirocumab. Eur J Prev Cardiol. 2022;29(14):1842-1851. 4. Frias JP, Koren MJ, Loizeau V, et al. the SYDNEY device study: a multicenter, randomized open-label usability study of a 2-mL alirocumab autoinjector device. Clin Ther. 2020;42(1):94-107.

Acest material promoțional este destinat profesioniștilor din domeniul sănătății. Acest medicament se eliberează pe bază de prescripție medicală PRF.

MAT-RO-2500009-1.0 – 01/2025

Str. Gara Herăstrău nr. 4, clădirea B, etajele 8-9, Sector 2, 020334, București, România tel.:(+40) 21 317 31 36; e-mail: o ce.ro@sano .com

Turn static files into dynamic content formats.

Create a flipbook
Issuu converts static files into: digital portfolios, online yearbooks, online catalogs, digital photo albums and more. Sign up and create your flipbook.
Medical Market - Cardiologie 2025 by Fin Watch - Issuu