Medical Market - Chirurgie Cardiovasculara 2024

Page 1


Prof. Univ.

Dr. Adrian Molnar

Președinte al Congresului

Național al SRCCV 2024

Președinte al SRCCV

Prof. Univ.

Dr. Horațiu Moldovan

UMF „Carol Davila” București

Președinte al Congresului East Meets West 2024

Prof. Univ.

Dr. Grigore Tinică

UMF „Grigore T. Popa” Iași

Președinte al Congresului EABM 2024

Prof. Univ.

Dr. Lucian Dorobanțu

Facultatea de Medicină, Univ. „Titu Maiorescu“

Spitalul Nord Pipera – Grupul Medical Provita, București

Col. Șef Lucrări

Dr. Alice Munteanu

Facultatea de Medicină, Univ. „Titu Maiorescu“ SCUMC „Dr. Carol Davila” București

Col. Dr. Ionel Droc

Chirurgie Cardiovasculară SCUMC „Dr. Carol Davila” București

Chirurgie Cardiovasculară, Vasculară și Flebologie

material promoţional este destinat profesioniştilor din domeniul sănătăţii. Pentru informaţii suplimentare

să consultaţi rezumatul caracteristicilor produsului complet, disponibil la cerere sau pe site-ul www.anm.ro. Vessel Due F® 250 ULS capsule moi - o capsulă moale conţine sulodexid 250 ULS (unităţi lipasemice sulodexid). Administrare orală. Medicament eliberat pe bază de prescripţie medicală – P6L. Vessel Due F® 600 ULS/2ml soluţie injectabilă - 2 ml soluţie injectabilă conţin sulodexid 600 ULS (unităţi lipasemice sulodexid). Administrare im/iv. Medicament eliberat pe bază de prescripţie medicală – PRF. Profesioniștii din domeniul sănătăţii sunt rugaţi să raporteze orice reacţie adversă suspectată sau reclamaţie cu privire la acest produs la adresa de e-mail: Drugsafety.alfasigma@addenda.ro sau la Agenţia Naţională a Medicamentului și a Dispozitivelor Medicale din România, www.anm.ro. DAPP Alfasigma - S.p.A.

Ajută la menţinerea:

echilibrului colesterolului HDL/LDL

tensiunii arteriale normale

nivelului normal de colesterol

coagulării normale a sângelui

ARTEROPROTECT COLESTEROL ®

1 capsulă /zi

EFECT DE 5 ORI ASIGURAT PENTRU UN COLESTEROL ECHILIBRAT

Ajută la menţinerea:

echilibrului colesterolului HDL/LDL

tensiunii arteriale normale

nivelului normal de colesterol

coagulării normale a sângelui

Secția Clinica Chirurgie Cardiovasculară, SCUB

Asist. Univ. Dr. Bacușcă Alberto

UMF “Grigore T. Popa” Iași, IBCV „Prof. Dr. George I.M. Georgescu” Iași

Dr. Silviu Paul Stoleriu

Drd. UMF “Grigore T. Popa” Iași, IBCV „Prof. Dr. George I.M. Georgescu” Iași

Dr. Toma Iosifescu

Spitalul Nord Pipera, Grupul Medical Provita, București

Dr. Silviu Andrei

Medic rezident Cardiologie SCUMC „Dr. Carol Davila”

Dr. Bogdan Dimitrie Niculae

Medic specialist Dermatovenerologie CEO LaserMed București

Dr. Ioan-Teodor Cristea

Medic rezident Dermatovenerologie SUU „Elias” București, Doctorand UMF „Carol Davila” București

Consultant medical: Dr. Aurora Bulbuc, medic primar Medicină de familie

Editor Calea Rahovei, nr. 266-268, Sector 5, Bucureşti, Electromagnetica Business Park, Corp 01, et. 1, cam. 4 Tel: 021.321.61.23 e-mail: redactie@finwatch.ro ISSN 2286 - 3443

„Care este viitorul chirurgiei cardiace? Sfârșit de drum sau asistăm la o reinventare a specialității?“

Interviu cu Prof. Univ. Dr. Adrian Molnar 4

Transplantul cardiac: Progrese, Provocări și Perspective

Asist. Univ. Dr. Silvia Preda, Prof. Univ. Dr. Habil. Horațiu Moldovan 8

Complicații cerebrovasculare în cadrul intervențiilor TAVI

Prof. Univ. Dr. Grigore Tinică, Dr. Silviu Paul Stoleriu, Asist. Univ. Dr. Bacușcă Alberto

Multifocal arterial disease - surgical strategies I. Droc, M. Dumitrașcu, C. Buzilă, Raluca Dantis, L. Stan

Evaluarea preoperatorie a Cardiomiopatiei Hipertrofice Obstructive

Prof. Univ. Dr. Lucian Dorobanțu, Dr. Toma Iosifescu

Cum alegem între valvuloplastie și înlocuirea valvei mitrale? Col. Şef Lucrări Dr. Alice-Elena Munteanu, Dr. Silviu Andrei

Tratamentul telangiectaziilor și al venelor reticulare:

Discuție cu privire la eficiența laser-terapiei vs. scleroterapie

Dr. Bogdan Dimitrie Niculae, Dr. Ioan-Teodor Cristea

TIVA în cadrul anesteziei pediatrice Dr. Eugeniu Oleineac

Asist. Univ. Dr. Silvia Preda
„Care este viitorul chirurgiei cardiace?
Sfârșit de drum sau asistăm la o reinventare a specialității?”

Interviu realizat cu Prof. Univ. Dr. Adrian Molnar, Președintele Congresului Național al Societății Române de Chirurgie Cardiovasculară, Președintele Societății Române de Chirurgie Cardiovasculară

În perioada 26-28 septembrie 2024 se desfășoară la Cluj-Napoca cea de-a 19-a ediție a Congresului Național al Societății Române de Chirurgie Cardiovasculară, congres care va oferi noi oportunități de a explora, împărtăși și învăța din cele mai recente cunoștințe și inovații din domeniul chirurgiei cardiovasculare. Cu această ocazie, stăm de vorbă cu domnul Prof. Univ. Dr. Adrian Molnar, Președintele Congresului Societății Române de Chirurgie Cardiovasculară, Președintele Societății Române de Chirurgie Cardiovasculară.

Stimate domnule Prof. Univ. Dr. Adrian Molnar, anul trecut Congresul Societății Române de Chirurgie Cardiovasculară a fost unul de excepție. Cu ce noutăți ne întâmpinați anul acesta? Ce teme ştiințifice vor fi abordate în cadrul acestui prestigios eveniment?

Încerc să aduc în discuție câteva teme noi, mai puțin abordate în congresele noastre până acum. Voi menționa câteva dintre ele:

• Reintervențiile în chirurgia cardiacă

• Infecțiile în chirurgia cardiacă și endocardita bacteriană

• Care este viitorul chirurgiei cardiace?

Sfârșit de drum sau asistăm la o reinventare a specialității?

• Inteligența artificială în chirurgia cardiacă?

Tradiția calității şi reuşitei acestui congres continuă prin participarea celor mai buni chirurgi cardiovasculari şi nu numai. Ce personalități ale chirurgiei cardiovasculare aveți ca invitați?

În primul rând vor participa toți șefii secțiilor de chirurgie cardiacă din cele mai mari centre din România, și câteva dintre legendele chirurgiei cardiace din țara noastră, cum ar fi Prof. Dr. Radu

Deac, sau Prof. Dr. Mircea Bârsan. Din străinătate vor fi prezenți Prof. Dr. Alesandro Frigiola, Prof. Dr. Lorenzo Menicanti, Prof. Dr. Francesco Bedogni, Dr. Marco Diena, Dr. Gheorghe Cerin, Prof. Dr. Yousuf Tammam de la Clinica San Donato din Milano, Conf. Dr. Peter Haldenwang, Prof. Dr. Andreas Eicken, Prof. Dr. Rolf Dammrau din Germania, Dr. Alexandru Nigolean din Franța, Prof. Dr. Anatolie Cazacu, Prof. Dr. Aurel Batrânac din Republica Moldova, Prof. Dr. Bojan Biocina din Serbia, etc.

Pe plan mondial, chirurgia cardiovasculară cunoaşte o serie

de transformări în ceea ce priveşte modul de abordare al patologiei cardiace corelată cu tehnologia – tehnici minim şi micro invazive. Credeți că acesta este viitorul acestei specialități? Chirurgia cardiacă clasică poate fi înlocuită definitiv de aceste tehnici?

O parte a patologiei cardiace poate fi rezolvată prin tehnici microinvasive, și mă refer aici la înlocuirile de valve prin tehnici transcateter, închideri de DSA și DSV, dilatări și montare de stent în coarctații de aortă la copii, endoprotezările în anevrismele de aortă toracică și abdominală, sau în disecțiile acute de aortă. Tehnicile minim invasive reprezintă o altenativă viabilă, și se plasează undeva între procedurile clasice și procedurile transcateter, cu rezultate foarte bune din punct de vedere funcțional și estetic. Dar aceste noi tehnici nu vor înlocui cel puțin pe termen mediu chirurgia clasică, aceasta din urmă ramâne în “pol position” la rezolvarea cazurilor complexe, a complicațiilor chirurgiei minim invasive și microinvasive, în cazul endocarditelor de valvă nativă sau de proteze valvulare, etc. De altfel, acesta este și subiectul sesiunii planificate de mine, cu titlul “Viitorul chirurgiei cardiace”. Doresc să aflu și părerea altor colegi în legătură cu acest subiect.

Într-un interviu anterior discutam despre implementarea conceptului de “heart-team” în toate clinicile de chirurgie cardiovasculară din țară. Ne puteți oferi câteva detalii?

Conceptul de Heart Team a fost implementat în chirurgia cardiacă și cardiologie în anul 2010. Acest concept a fost împrumutat din oncologie, specialitate în care, Tumor Bord-ul, respectiv ședințele în care se discută într-un colectiv de medici de diverse specialități cazurile complexe, stabilindu-se cea mai bună cale de rezolvare a patologiei pacientului, reprezintă de mulți ani o normalitate. La început în ședințele de heart-team erau abordate doar cazurile de cardiopatie ischemică ce necesitau revascularizare, fie prin dilatare și stent (procedură intervențională efectuată de cardiolog), fie revascularizare prin bypass aorto-coronarian (efectuat de chirurg). Cine să hotărască modalitatea de revascularizare? Chirugul sau cardiologul? Așa a apărut nevoia de a prezenta aceste cazuri într-un colectiv mai extins, multidisciplinar, care să discute toate aspectele legate de pacient, cu medicii anesteziști, diabetologi, nefro-

logi, specialiști în imagistică, împreună cu cardiologii clinicieni, intervenționiști și cu chirurgii cardiaci. Ulterior tehnicile transcateter s-au dezvoltat într-un ritm galopant astfel încât nevoia de a discuta toate cazurile complexe într-un cadru organizat multidisciplinar a devenit o necesitate. În multe țări finanțarea acestor programe de către societățile de asigurări impun existența heart-team-urilor în fiecare institut de profil.

Chirurgia Cardiovasculară este o specialitate complexă şi nu tocmai uşor de practicat. Câți tineri absolvenți mai optează pentru a o profesa? Care credeți că sunt cauzele lipsei de specialişti?

Ați atins un subiect destul de delicat. Într-adevăr un număr din ce în ce mai mic de absolvenți se îndreaptă azi spre specialitățile chirurgicale, mai ales spre specialitățile grele, chirugie cardiacă, toracică, neuro-chirurgie. Dacă în urmă cu 20 - 30 de ani concurența pentru aceste specialități era foarte mare, în ultimii ani ne trezim că nu se ocupă toate locurile scoase la concurs. Sunt preferate specialitățile “mai ușoare”, ce pot fi practicate în regim de ca-

binet, fără obligația de a efectua gărzi, etc. Acest lucru se întâmplă peste tot în lume, nu doar la noi. Din discuțiile pe care leam avut cu colegi din alte țări a rezultat că și ei au aceleași probleme.

Vă rugăm să ne comunicați ce parteneriate are Societatea Româna de Chirurgie

Cardiovasculară cu alte societăți profesionale interne şi internaționale.

Așa cum puteți remarca și pe coperta programului congresului unde sunt prezente siglele partenerilor noștri, avem parteneriate cu Europen Society of Cardio Vascular Surgery (ESCVS), American College of Cardiology (ACC), Policlinico San Donato din Milano, Societatea Română de Chirurgie Minim Invazivă, Societatea Română de Angiologie și Chirurgie Vasculară (SRACV), Societatea Română de Cardiologie (SRC).

Doresc ca, în viitor, să colaborez cu noul Președinte al SRCCV, Prof. Univ. Dr. Horațiu Moldovan, pentru continuarea prioctelor începute în mandatul meu, și pentru implementarea proiectelor domniei sale.

SOLUȚIA COMPLETĂ PENTRU INOVAȚIE ÎN CHIRURGIE

CARDIOVASCULARĂ

CINE SUNTEM NOI

Încă din 1999, pentru a crește calitatea vieții din România, am căutat să ne extindem perspectivele și direcțiile de dezvoltare pentru a răspunde la cât mai multe nevoi din sectorul medical. Prin urmare, am reușit să devenim un lider de piață și un partener de încredere pentru toți clienții noștri, prin oferirea de soluții integrate la cheie, a căror performanță a fost demonstrată în cadrul a mai multor proiecte de amploare și medii spitalicești la nivel național.

Totodată, societatea noastră a implementat și menține cu succes sistemele de management al calității în domeniul dispozitivelor medicale și al mediului, o activitate garantată și acreditată prin standardele ISO 9001, ISO 13485, ISO 14001 și 45001

PERFORMANȚA NORDICĂ

OFERITĂ DE CĂTRE

PRODUCĂTORI

CONSACRAȚI

CELE 3 DOMENII DE ACTIVITATE

Proiectarea și implementarea de camere curate

Distribuția și integrarea de echipamente medicale de înaltă performanță

Proiectarea, execuția și instalarea sistemelor de gaze și fluide medicale

DR. MACH LED 8MC + 6MC

DR. MACH LED 8MC + 6MC

Configurație de lămpi scialitice de înaltă performanță

DR. MACH LED 8MC + 6MC

Configurație de lămpi scialitice de înaltă performanță

Configurație de lămpi scialitice de înaltă performanță

Calitatea germană permite obținerea versatilității și eficienței optime în actul chirurgical, îmbinându-se un design elegant cu o capacitate de funcționare sustenabilă și durabilă:

Calitatea germană permite obținerea versatilității și eficienței optime în actul chirurgical, îmbinându-se un design elegant cu o capacitate de funcționare sustenabilă și durabilă:

Calitatea germană permite obținerea versatilității și eficienței optime în actul chirurgical, îmbinându-se un design elegant cu o capacitate de funcționare sustenabilă și durabilă:

• Capacitate de shadow management

• Capacitate de shadow management

• Capacitate de shadow management

• Posibilitate de adăugare a unui monitor, camere integrate sau laser pointer în timpul procedurilor

• Posibilitate de adăugare a unui monitor, camere integrate sau laser pointer în timpul procedurilor

• Posibilitate de adăugare a unui monitor, camere integrate sau laser pointer în timpul procedurilor

• Indicele R a 98 în redarea culorilor oferă un suport optim în diferențeierea detaliilor anatomice ale pacientului la nivelul câmpului plăgii

• Indicele R a 98 în redarea culorilor oferă un suport optim în diferențeierea detaliilor anatomice ale pacientului la nivelul câmpului plăgii

• Indicele R a 98 în redarea culorilor oferă un suport optim în diferențeierea detaliilor anatomice ale pacientului la nivelul câmpului plăgii

CONDOR GOLDLINE CARDIOTORACIC Configurație de retractoare chirurgicale

CONDOR GOLDLINE CARDIOTORACIC

Configurație de retractoare chirurgicale

CONDOR GOLDLINE CARDIOTORACIC

Configurație de retractoare chirurgicale

Putând fi folosite într-o gamă extinsă de specializări, se atașează direct de către masa de operație pentru a oferi stabilitate, flexibilitate și precizie actului medical, inclusiv în cadrul chirurgiei valvei cardiace sau operațiilor de bypass:

Putând fi folosite într-o gamă extinsă de specializări, se atașează direct de către masa de operație pentru a oferi stabilitate, flexibilitate și precizie actului medical, inclusiv în cadrul chirurgiei valvei cardiace sau operațiilor de bypass:

Putând fi folosite într-o gamă extinsă de specializări, se atașează direct de către masa de operație pentru a oferi stabilitate, flexibilitate și precizie actului medical, inclusiv în cadrul chirurgiei valvei cardiace sau operațiilor de bypass:

• Ușor de ajustat pentru orice morfologie de pacient prin articulații sferice și componente ajustabile individual

• Ușor de ajustat pentru orice morfologie de pacient prin articulații sferice și componente ajustabile individual

• Ușor de ajustat pentru orice morfologie de pacient prin articulații sferice și componente ajustabile individual

• Compatibilitate cu stabilizatorul de țesut pentru garantarea stabilității organului vascular în timpul procedurilor

• Compatibilitate cu stabilizatorul de țesut pentru garantarea stabilității organului vascular în timpul procedurilor

• Compatibilitate cu orice model de masă de operație

• Compatibilitate cu orice model de masă de operație

• Compatibilitate cu stabilizatorul de țesut pentru garantarea stabilității organului vascular în timpul procedurilor

• Compatibilitate cu orice model de masă de operație

DR MACH LED

DR MACH LED

8MC

160.000 Lux

99 LED-uri

DR MACH LED

DR MACH LED

6MC

140.000 Lux 69 LED-uri

PERIFLUX 6000 COMBINED

PERIFLUX 6000 COMBINED

Sistem inteligent de evaluare microcirculatorie

PERIFLUX 6000 COMBINED

Sistem inteligent de evaluare microcirculatorie

Sistem inteligent de evaluare microcirculatorie

Include toate măsurătorile recomandate de către Global Vascular Guidelines și oferă performanța optimă în diagnosticarea și tratarea pacienților cu boli arteriale periferice sau ischemie critică a membrelor, putând determina evaluarea vindecării rănilor, determinarea nivelului de amputație și evaluarea tratamentului hiperbaric cu oxigen:

Include toate măsurătorile recomandate de către Global Vascular Guidelines și oferă performanța optimă în diagnosticarea și tratarea pacienților cu boli arteriale periferice sau ischemie critică a membrelor, putând determina evaluarea vindecării rănilor, determinarea nivelului de amputație și evaluarea tratamentului hiperbaric cu oxigen:

Include toate măsurătorile recomandate de către Global Vascular Guidelines și oferă performanța optimă în diagnosticarea și tratarea pacienților cu boli arteriale periferice sau ischemie critică a membrelor, putând determina evaluarea vindecării rănilor, determinarea nivelului de amputație și evaluarea tratamentului hiperbaric cu oxigen:

• Echipat cu sonde termostatice Doppler cu laser și electrozi transcutanați de oxigen

• Echipat cu sonde termostatice Doppler cu laser și electrozi transcutanați de oxigen

• Echipat cu sonde termostatice Doppler cu laser și electrozi transcutanați de oxigen

• Ușor de instalat și utilizat, prezentând o interfață de navigare intuitivă

• Ușor de instalat și utilizat, prezentând o interfață de navigare intuitivă

• Ușor de instalat și utilizat, prezentând o interfață de navigare intuitivă

• Ușor de integrat, prin PC-ul integrat, în infrastructura IT de tip DICOM sau HL7 a mediului spitalicesc

• Ușor de integrat, prin PC-ul integrat, în infrastructura IT de tip DICOM sau HL7 a mediului spitalicesc

• Ușor de integrat, prin PC-ul integrat, în infrastructura IT de tip DICOM sau HL7 a mediului spitalicesc

• Monitorizează oximetria transcutanată, volumul pulsului, indicii deget-braț și gleznă-braț, tensiunea la nivelul gleznei și degetor picioarelor și tensiunea de perfuzie cutanată

• Monitorizează oximetria transcutanată, volumul pulsului, indicii deget-braț și gleznă-braț, tensiunea la nivelul gleznei și degetor picioarelor și tensiunea de perfuzie cutanată

• Monitorizează oximetria transcutanată, volumul pulsului, indicii deget-braț și gleznă-braț, tensiunea la nivelul gleznei și degetor picioarelor și tensiunea de perfuzie cutanată

DR

Transplantul cardiac: Progrese, Provocări și Perspective

Abstract: În România, transplantul cardiac a fost introdus în anii ‘90 și a evoluat în ciuda diferitelor dificultăți. Deși au fost înființate două centre naționale, numărul transplanturilor este limitat de lipsa organelor donatoare și de infrastructura insuficientă. Datele din Registrul Național ANT evidențiază necesitatea extinderii listei de așteptare și a îmbunătățirii accesului la îngrijire. Progresele tehnologice permit extinderea timpului de transport al organului, dar conștientizarea donării de organe este crucială pentru creșterea numărului de transplanturi. Îmbunătățirea diagnosticării și accesului la tratamente avansate sunt esențiale pentru optimizarea programului de transplant cardiac.

Asist. Univ. Dr. Silvia Preda

Secția Clinica Chirurgie Cardiovasculară, SCUB

Prof. Univ. Dr. Habil. Horațiu Moldovan

Șef Secție Clinica Chirurgie Cardiovasculară, SCUB, Coordonator Centrul de Transplant Cardiac „Floreasca”, Membru titular Academia de Științe Medicale, Membru corespondent Academia Oamenilor de Știință din România, Președinte Congres East Meets West 2024

Introducere

Transplantul cardiac reprezintă o procedură chirurgicală complexă, esențială pentru salvarea vieților, dar care implică multiple provocări. În România, această procedură a fost introdusă la sfârșitul anilor ‘90 de către doctorul Șerban Brădișteanu și profesorul Radu Deac. Deși succesul inițial a adus o recunoaștere națională, este esențial să subliniem importanța dezvoltării continue a unui program robust. Acest program trebuie să includă crearea și gestionarea unei liste de așteptare pentru pacienții cu insuficiență cardiacă terminală și să asigure o monitorizare atentă a pacienților post-transplant.

De-a lungul timpului, acumulând experiență în domeniu, a fost inițiat și al doilea program de transplant cardiac în România, la Târgu Mureș. Cu toate acestea, în afara celor două centre naționale, pacienții care necesită transplant cardiac sau asistență

circulatorie nu dispun de unități specializate pentru gestionarea exacerbărilor bolii sau a complicațiilor. Această situație poate contribui la menținerea unei liste scurte de pacienți candidați pentru transplant. În prezent, este evident că numărul de proceduri de transplant cardiac nu poate crește semnificativ fără o extindere corespunzătoare a listei de așteptare. Factorii esențiali care trebuie luați în considerare pentru efectuarea unui transplant cardiac includ:

• Evaluarea detaliată a pacientului: Diagnosticarea corectă și completă a stării pacientului.

• Disponibilitatea și calitatea organului donat: Evaluarea rapidă si completă a organului donat.

• Pregătirea și experiența echipei chirurgicale: Educația medicală continuă, teoretică și practică a întregii echipe multidisciplinare, în domeniul transplantării cardiace.

• Capacitatea infrastructurii medicale: Evaluarea resurselor disponibile pentru efectuarea transplantului, dar și îngrijirea postoperatorie și soluționarea eventualelor complicații.

• Accesibilitatea și eficiența sistemului de transport al organului: Optimizarea transportului pentru a minimiza timpul de ischemie miocardică.

Începând din anul 2018, Registrul Național ANT a început să furnizeze date privind numărul de pacienți înscriși anual pe listele de așteptare, numărul total de pacienți de pe lista de așteptare, mortalitatea pe lista de așteptare și numărul de transplanturi cardiace efectuate anual în cele două centre naționale. Din păcate, lipsa unui registru național dedicat pacienților cu insuficiență cardiacă avansată și a unui centru specializat pentru investigarea, di-

agnosticarea și tratamentul acestora contribuie la numărul scăzut de transplanturi efectuate anual comparativ cu alte țări europene sau Statele Unite ale Americii. Progresele tehnologice realizate din anii `90 au avut un impact semnificativ asupra domeniului transplanturilor cardiace. Deși s-a înregistrat o ușoară creștere a numărului de donatori, România este uneori nevoită să exporte organe pentru transplant în alte țări. În mod obișnuit, timpul de ischemie acceptat pentru un transplant cardiac este de aproximativ 4 ore, cuprinzând intervalul de la administrarea soluției de cardioplegie până la reimplantarea și reluarea activității cardiace a grefonului. Totuși, utilizarea dispozitivelor de asistare a grefonului cardiac pe parcursul transportului, care mențin organul perfuzat, cald, având activitate cardiacă, nu impune, în prezent, o limită strictă de timp, deși acest aspect necesită confirmări suplimentare prin studii ulterioare. Conștientizarea importanței donării de organe joacă un rol crucial în creșterea acceptării acesteia în rândul populației și, implicit, în sporirea numărului de donatori. Legislația care presupune consimțământul automat al populației, în absența unui document de refuz, contribuie la acest aspect. Conform Eurotransplant, numărul transplanturilor cardiace a crescut în ultimii 4 ani în cele 8 țări care fac parte din această organizație așa cum este prezentat în Tabelul 1. Țările care fac parte din Eurotransplant sunt: Austria (9 mil locuitori), Belgia (11,5 mil locuitori), Croația (4,4 mil locuitori), Germania (83 mil locuitori), Ungaria (10 mil locuitori), Luxemburg (0,5 mil locuitori), Olanda (17 mil locuitori), Slovenia (2 mil locuitori), toate au o formă de consimțământ presupus, respectiv toți locuitorii țărilor respective sunt considerați donatori

Tabel 1. Situatia transplanturilor cardiace in cadrul Eurotransplant

automat în absența unei declarații de refuz. Deși Germania este țara cu cele mai multe proceduri de transplant cardiac, implicit cu donatori mulți, legislația de donare este diferită în anumite regiuni administrative. Fiecare țară are o formă de coordonare a listei de așteptare, respectiv a donării/alocării organelor ce colaborează cu Eurotransplant.

Tabel 2. Situația listei de așteptare si nr. procedurilor de transplant cardiac în România

România, ca și celelalte țări europene, coordonează programul de transplant cu ajutorul unei agenții naționale, precum ANT (Agenția Națională de Transplant). Această agenție se ocupă de gestionarea listelor de așteptare, alocarea organelor și colaborarea internațională pentru recoltarea și donarea organelor. Deși România are o populație de aproximativ 19 milioane de locuitori, numărul anual de transplanturi cardiace rămâne scăzut, fiind influențat de o serie de factori interdependenți, inclusiv disponibilitatea organelor donatoare, infrastructura medicală, și accesul pacienților la servicii de îngrijire. Reluarea și extinderea programului de transplant cardiac la Spitalul Clinic de Urgență București reprezintă pași importanți în creșterea numărului de intervenții efectuate. Totodată, acest demers poate contribui și la o majorare a numărului de pacienți înscriși pe listele de așteptare. În acest context, este crucial să abordăm îmbunătățirea gestionării insuficienței cardiace prin: 1. Eficientizarea investigațiilor: Optimizarea procedurilor de diagnosticare pentru a asigura identificarea precoce și precisă a pacienților care necesită transplant cardiac sau dispozitive de asistare circulatorie.

2. Îmbunătățirea accesibilității serviciilor medicale: Asigurarea unui acces mai bun la serviciile medicale specializate pentru pacienții cu insuficiență cardiacă, inclusiv prin dezvoltarea și extinderea rețelei de centre specializate. 3. Creșterea terapiei dedicate acestor pa cienți: Implementarea și dezvoltarea de noi terapii și tehnologii pentru pa cienții cu insuficiență cardiacă avan sată, inclusiv utilizarea dispozitivelor de asistare circulatorie de tipul ECLS (Extracorporeal Life Support), ECMO (Extracorporeal Membrane Oxygena tion), CENTRIMAG, LVAD (Left Ven tricular Assist Device) și RVAD (Right Ventricular Assist Device).

Aceste măsuri sunt esențiale pentru a crește eficiența și succesul programelor de transplant cardiac și pentru a răspun de adecvat nevoilor pacienților cu insufi ciență cardiacă avansată.

Bibliografie

4. Cardiac Surgery in the Adult, 5e Eds. Lawrence H. Cohn, and David H. Adams. McGraw-Hill Education, 2017, https://accesssurgery.mhmedical.com/content.as px?bookid=2157&sectionid=164286272.

5. www.who.int/news/item/09-12-2020-who-reveals-leading-causes-of-death-and-disability-worldwide-2000-2019

6. http://transplant.ro/statistici-anuale/

7. OPTN/SRTR 2021 Annual Data Report: Heart, Monica M. Colvin1,2, Jodi M. Smith1,3, Yoon Son Ahn1, Eric Messick4, Kelsi Lindblad4, Ajay K. Israni1,5,6, Jon J. Snyder1,5,6, Bertram L. Kasiske1,6

8. Rate of heart transplant procedures per million population in Europe in 2021 to 2022, by country, https://www.statista. com/statistics/537910/heart-transplant-rate-in-europe/ 9. www.eurotransplant.org/region/

10. Theresa A McDonagh, Marco Metra, Marianna Adamo, Roy S Gardner, Andreas Baumbach, Michael Böhm, Haran Burri, Javed Butler, Jelena Čelutkienė, Ovidiu Chioncel, John G F Cleland, Andrew J S Coats, Maria G Crespo-Leiro, Dimitrios Farmakis, Martine Gilard, Stephane Heymans, Arno W Hoes, Tiny Jaarsma, Ewa A Jankowska, Mitja Lainscak, Carolyn S P Lam, Alexander R Lyon, John J V McMurray, Alexandre Mebazaa, Richard Mindham, Claudio Muneretto, Massimo Francesco Piepoli, Susanna Price, Giuseppe M C Rosano, Frank Ruschitzka, Anne Kathrine Skibelund, ESC Scientific Document Group , 2021 ESC Guidelines for the diagnosis and treatment of acute and chronic heart failure: Developed by the Task Force for the diagnosis and treatment of acute and chronic heart failure of the European Society of Cardiology (ESC) With the special contribution of the Heart Failure Association (HFA) of the ESC, European Heart Journal, Volume 42, Issue 36, 21 September 2021, Pages 3599–3726, https://doi.org/10.1093/eurheartj/ehab368 11. www.worldometers.info/world-population/romania-population/

3. Cordul receptorului - cardiomiopatie dilatativa

4. Cordul receptorului explantat, pericardul receptorului, canalele pentru circulația extracorporeale

Figura
Figura

SC EPSYLON GROUP SRL

Tel/Fax: 0214140460

Complicații cerebrovasculare în cadrul intervențiilor TAVI

Stenoza aortică (SA) reprezintă cea mai frecventă valvulopatie din Europa și America de Nord, afectând peste 9 milioane de indivizi la nivel global, și care necesită tratament specializat cu scopul de a ameliora calitatea și durata vieții. În absența înlocuirii valvulare, speranța de viață în cazul stenozei aortice severe este limitată la 1-2 ani din momentul instalării simptomelor. Prevalența acestei afecțiuni este în continuă ascensiune datorită îmbătrânirii populației. Până în urmă cu un deceniu, înlocuirea chirurgicală a valvei a fost tratamentul standard de aur, dar vârsta înaintată și riscul operator ridicat al majorității pacienților diagnosticați cu această afecțiune a limitat accesul la intervenția chirurgicală. Prima implantare transcateter de valvă aortică (TAVI) de către Alain Cribier în 2002 a deschis calea spre corecția patologiilor valvulare prin intervenții minim invazive cu rezultate similare intervențiilor chirurgicale clasice, dar în condițiile unui număr redus de complicații și a unei rate de mortalitate net inferioare. Intervențiile transcateter au câștigat popularitate cu extensia indicațiilor la pacienți cu risc chirurgical mediu sau chiar redus. TAVI a devenit mai frecvent utilizată decât înlocuirea chirurgicală a valvei aortice (SAVR) și este asociată cu rezultate excelente.[1]

Prof. Univ. Dr. Grigore Tinică

UMF “Grigore T. Popa” Iași, IBCV „Prof. Dr. George I.M. Georgescu” Iași

Dr. Silviu Paul Stoleriu

Drd. UMF “Grigore T. Popa” Iași, IBCV „Prof. Dr. George I.M. Georgescu” Iași

Asist. Univ. Dr. Bacușcă Alberto

UMF “Grigore T. Popa” Iași, IBCV „Prof. Dr. George I.M. Georgescu” Iași

Tehnica TAVI

TAVI rămâne o intervenție complexă. Se recomandă ca toate procedurile TAVI să fie efectuate în unități spitalicești care dispun de servicii de chirurgie cardiovasculară la fața locului. Acest aspect este crucial în cazul procedurilor realizate prin acces trans-apical sau alte tipuri de abord chirurgical, precum și pentru gestionarea situațiilor de urgență care necesită intervenții chirurgicale imediate.[2]

Intervenția se efectuează sub anestezie generală atunci când se utilizează accesul

chirurgical transapical sau transaortic. În cazul abordului arterial periferic transcutanat, aproximativ 50% dintre intervenții sunt realizate în condiții de anestezie generală în timp ce restul de 50% beneficiază de sedare conștientă în combinație cu anestezie locală sau regională. Această opțiune s-a dovedit a fi la fel de eficientă ca și anestezia generală, prezentând avantaje precum durata mai scurtă a procedurii, eliminarea riscurilor asociate cu anestezia generală și o recuperare mai rapidă pentru pacienți.[3]

Tipuri de abord

• Transfemural: cel mai utilizat abord în prezent în cazurile în care anatomia vaselor femurale și iliace o permite (diametru minim 6 mm, absența leziunilor sau tortuozităților semnificative);

• Transapical: prin toracotomie stângă la nivelul spațiilor intercostale IV-VI și o puncție directă a apexului ventriculului stâng;

• Transaortic: abordul aortei ascendente prin prin mini-sternotomie sau toracotomie parasternală dreaptă;

• Transcaval, transcarotidian, trans-subclavicular: aborduri utilizate când cele descrise anterior nu pot fi realizate. Abordul transcaval implică puncția unei vene femurale, pasajul protezei în vena cavă inferioară și de aici, printr-o puncție transparietală, în aorta descendentă abdominală [4] , [5]

În cazul abordului retrograd, după obținerea accesului femural, se introduce o teacă arterială la locul de puncție. Concomitent se obține și un acces ve-

Figura 1. Variante de abord vascular utilizate pentru implantarea transcateter de valvă aortică – modificată [19]

nos periferic necesar pentru a introduce un electrod de stimulare temporară în ventriculul drept cu scopul de a realiza stimularea ventriculară rapidă necesară realizării valvuloplastiei aortice cu balon (VAB) și implantării protezei TAVI.[6]

Intervenția se realizează în condiții de anticoagulare cu heparină nefracționată 5000 U.I. Valva aortică este ascensionată retrograd prin sistemul arterial cu ajutorul unui fir ghid, urmat de un cateter de diagnostic pentru evaluarea gradientului transvalvular. În cazul protezelor de primă generație, se impune ascensionarea și a unui cateter de valvuloplastie cu balonaș pentru a efectua VAB anterior introducerii protezei. Valvele de ultimă generație pot fi implantate fără VAB prealabilă.

Implantarea valvei necesită o perioadă scurtă de stimulare ventriculară rapidă, cu o frecvență de aproximativ 160-220 de bătăi pe minut, pentru a reduce output-ul ventriculului stâng și a minimiza riscul de desprindere a balonului din tractul de ejecție sau de migrare a valvei. După predilatarea cu balon și poziționarea noii valve raportat la inelul aortic nativ, se procedează la implantarea protezei TAVI autoexpandabile sau expandabile prin gonflarea balonului în funcție de model. Gradientul transprotetic și fluxul valvular sunt evaluate atât anterior cât și ulterior implantării valvei, cel mai frecvent prin ecocardiografie transesofagiană. Cateterele și firele ghid sunt retrase, iar închiderea vasculară se realizează fie chirurgical, fie cu ajutorul unui dispozitiv de închidere percutanată. După intervenție, pacientul se recuperează și poate să se deplaseze în termen de 24-48 de ore.[4], [6] , [7]

Complicații

potențiale TAVI

Complicațiile asociate TAVI sunt cel mai frecvent de tip tulburări de conducere cu necesitatea implantării unui pacemaker în 17-25% din cazuri urmate de cele vasculare care interesează locul de acces în 9,6% din cazuri. Alte complicații care pot surveni: evenimente neurologice; obstrucția ostiilor arterelor coronare; malpoziția protezei; regurgitare aortică; leziuni ale valvei mitrale; ruptura inelului aortic; disecția acută de aortă; tulburări de conducere; hipotensiunea arterială sistemică; complicații cardiace (perforație ventriculară cu tamponadă cardiacă).

Tabel 1. Clasificarea evenimentelor neurologice asociate procedurilor TAVI: Un Standard Definit de Neurologic AcademicResearch Consortium (NEUROARC)- adaptat după [8]

Evenimente

cerebrovasculare asociate TAVI

Incidența complicațiilor cerebrovasculare care survin în primele 30 zile postTAVI variază între 1% și 11%, în funcție de studiile consultate și în funcție de nivelul de risc al pacientului. Aceste complicații neurologice sunt reprezentate de:[13]

• Accidentul vascular cerebral (AVC) este determinat de leziuni vasculare de tip obstructiv (AVC ischemic) sau disruptiv (AVC hemoragic) și care se soldează cu compromiterea fluxului sangvin în teritoriul uneia sau mai multor artere cerebrale.[9]

• Atacul ischemic tranzitoriu (AIT) rezultă dintr-o alterare pasageră a fluxului sangvin cerebral și determină simptome neurologice temporare. Apariția unui AIT poate indica un AVC iminent.[10]

• Leziunile ischemice clinic silențioase (LICS) survin cel mai frecvent post TAVI, studiile imagistice cu secvențe IRM de difuzie indicând o prevalență între 58- 91%, indiferent de tipul de valvă utilizat sau abord, ca rezultat al embolizărilor cerebrale asimptomatice. S-a sugerat că LICS după TAVI sunt asociate cu un risc crescut de demență, declin cognitiv și depresie, ceea ce justifică utilizarea de dispozitive de protecție embolică în scop profilactic.[11]

• Deliriumul este o altă complicație potențială în TAVI asociată cu morbiditate crescută, prelungirea duratei de spitalizare, recuperare deficitară și prelungită, limitări funcționale și declin cognitiv.[12]

Raportat la momentul instalării, complicațiile neurologice pot fi clasificate în acute, dacă se produc în primele 24 de ore de la intervenție; subacute, între 1-30 de zile post TAVI; și tardive, cele care apar la peste o lună de la procedură.

Evenimentele cerebrovasculare (ECV) acute survenite post-TAVI au etiologie ischemică, în timp ce AVC-urile hemoragice sunt mai rare, reprezentând mai puțin de 5% din total.[13]

AVC-urile ischemice sunt cel mai frecvent cauzate de emboli produși în timpul manipulării cateterelor mari și rigide în aorta, catetere care pot disloca fragmente din plăcile de aterom parietale. Pot surveni în urma valvuloplastiei cu balon și în urma interacțiunii stentului protezei cu valva aortică intens calcificată în timpul poziționării protezei valvulare aortice.[14]

Hipotensiunea arterială sistemică reprezintă o altă complicație potențială a intervenției TAVI și poate determina hipoperfuzie cerebrală, în special în teritoriile de graniță între diferite artere cerebrale și vascularizate de mici ramuri perforante. Stimularea rapidă a ventriculului drept este necesară în aproape toate intervențiile TAVI în timpul valvuloplastiei, post-dilatare cu balon (mai frecvent în cazul valvelor auto-expandabile) sau în timpul implantării valvei (valve expandabile cu balon). Stimularea rapidă a ventriculului determină scăderea tensiunii arteriale și diminuarea perfuziei cerebrale, dar este de obicei tranzitorie și bine tolerată, cu o recuperare promptă. În schimb, la pacienții cu fracție de ejecție foarte scăzută, o stimulare rapidă ventriculară prelungită poate determina o perioadă mai lungă de hipotensiune arterială.[10]

Factori predictivi pentru ECV acute- în primele

24 ore post-TAVI

Insuficiență renală acută

Aria valvei aortice indexate (AVAi)

Post-dilatare cu balon

Abordul non-femural

Curba de învățare

Ateromatoză aortică/carotidiană

Stimularea rapidă ventriculară

Factori predicitvi pentru ECV subacute

Ziua 1-30 post-TAVI

Sexul feminin

Vârsta peste 85 ani

Boală renală cronică

Sindrom coronarian cronic

Boală arterială periferică

AVC în antecedente

Fibrilația atrială nou instalată

Indicele de masă corporală scăzut

Tabel 2. Factori de risc predictivi pentru delirium, adaptat după [15]

Dispozitive de protecție embolică

În condițiile prevalenței ridicate a ischemiilor silențioase, se impune utilizarea de dispozitive de protecție embolică (DPE) pentru a reduce rata complicațiilor neurologice. Mai multe tipuri de dispozitive de protecție embolică, cu design și căi de acces diferite, pot fi utilizate în TAVI. Efectul protector se realizează prin captarea embolilor, în cazul sistemelor ce utilizează filtre (sistemele Sentinel (Claret Medical) și Embol-X (Edwards Lifesciences)), sau prin devierea particulele embo-

lice de la nivelul arcului aortic și redirecționarea acestora către aorta descendentă, în cazul deflectoarelor (sistemele Embrella (Edwards Lifesciences) și TriGuard (Keystone Heart Ltd)). Aceste DPE sunt de obicei poziționate la emergența trunchiurilor supraaortice înainte de avansarea sistemului TAVI către valva aortică și recuperate la sfârșitul procedurii.[10], [16]

Strategii adiționale de prevenție

Dispozitivele de protecție embolică pot fi considerate un sistem de prevenție secundară. Prevenția primară este de

asemenea foarte importantă și implică evitarea formării trombilor prin administrarea intravenoasă de anticoagulante, cel mai frecvent heparină nefracționată, o alternativă fiind reprezentată de bivalirudină.

Terapia antiagrengantă plachetară după TAVI este în continuare un subiect dezbătut, fără un consens la nivel internațional. Inițial, se recomanda dublă antiagregare cu aspirină 75 mg/zi și clopidogrel 75 mg/zi timp de 3-6 luni, ulterior doar aspirină. O meta-analiză a trei studii clinice randomizate mici a indicat o creștere semnificativă a complicațiilor hemoragice majore sau potențial letale în contextul terapia duble antiplachetare (DAPT) în comparație cu monoterapia cu aspirină la 30 de zile, fără diferențe în ceea ce privește complicațiile ischemice.[18] Astfel, Ghidul de management al valvulopatiilor al Societății Europene de Cardiologie publicat în 2021 recomandă ca indicație de clasă I monoterapie antiagregantă pachetară după TAVI la pacienții care nu au indicație de anticoagulare. În cazul pacienților care necesită tratament anticoagulant oral (ACO), este recomandată administrarea acestuia, fără asociere de antiagregant plachetar. În absența unei alte indicații de ACO, nu se recomandă ACO după TAVI.[17]

Concluzii

Evenimentele cerebrovasculare care complică intervențiile TAVI au o etiologie plurifactorială. În ciuda progreselor tehnologice și scăderii ușoare a incidenței în era modernă a TAVI, embolia cerebrală reprezintă în continuare o complicație redutabilă, cu impact semnificativ asupra morbidității și mortalității pacienților. În ultimii ani, numărul procedurilor TAVI efectuate în întreaga lume a crescut semnificativ, iar extinderea populației țintă către grupuri cu risc chirurgical mai scăzut a condus la necesitatea optimizării strategiilor profilactice. Deoarece majoritatea leziunilor cerebrovasculare sunt determinare de embolizări legate de procedură, dispozitivele de protecție embolică (DPE) s-au impus drept instrumente profilactice eficiente, fapt dovedit de reducerea prevalenței AVC post-TAVI pe loturile de pacienți în care au fost utilizate.[10]

Figura 2- Dispozitive de protecție embolică utilizabile în TAVI [17]

Fibrovein 3% poate fi transformată în spumă pentru tratarea varicelor de mari dimensiuni. Se recomandă pentru venele truncale interfaciale, cum ar fi vena safenă mare (VSM), vena safenă mică (VSm) și venele tributare majore. Se va injecta soluție de 0,5%-2.0 ml spumă în mai multe locuri de-a lungul venei de tratat (maxim 16 ml).

Fibrovein 1% poate fi transformată în spumă pentru tratarea varicelor de dimensiuni mici spre medii. Se recomandă în cazul varicelor extrafaciale și a ramurilor laterale de mici dimensiuni. O soluție de 0.5-2ml spumă trebuie injectată în diverse locuri de-a lungul venei tratate (maxim 16 ml).

Fibrovein 0,5% este recomandată în cazul venelor reticulare și a venulelor de mari dimensiuni. Se va injecta 0,1-1.0ml de lichid în locuri de-a lungul venei de tratat (maxim 10ml).

LOUPES I NT E RCH A N G EA B L E M AG N I F I C ATIO N

OM N I OPT I C ™

Discover the first and only interchangeable magnification loupe that allows clinicians to select the optimal magnification power for each procedure Accommodating four magnification powers ranging from 2.5x – 5.5x, the OmniOptic is an ideal system for users looking to increase their magnification power over the course of their career

MOUNTING OPTIONS Through-the-Lens

LOUPE OPTIONS

FRAME OPTIONS

ErgoEdge™ · Rydon™ · Tempo™ Victory™ · XV1 ™

The first ever 3-in-1 and 2-in-1 adjustable magnification loupes, EyeZoom and EyeZoom Mini were developed to assist healthcare professionals view an operating site from multiple perspectives, conforming to fit each user ’s individual preference

MOUNTING OPTIONS Through-the-Lens

EyeZoom
EyeZoom Mini

SCANLAN® LEGACY

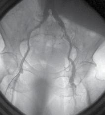
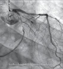
Multifocal arterial disease - surgical strategies

Ateroscleroza este o boală sistemică care afectează mai multe organe și sisteme. Leziunea care trebuie tratată mai întâi este cea care prezintă cele mai multe simptome sau leziunea cu cel mai puternic impact prognostic. Boala coronariană poate coexista cu stenoza arterei carotide, anevrismele de aortă abdominală și/sau boala arterială periferică (BAP).

Buzilă, Raluca Dantis, L. Stan Central Military Hospital, Bucharest

Studii recente au confirmat faptul că pacienții cu boală multivasculară au un risc mai mare de evenimente cardiovasculare majore decât pacienții cu afectare monovasculară.

Leziunile vasculare trebuie tratate astfel: leziuni carotidiene, leziunile coronariene și leziunile aortice sau periferice. Când două teritorii arteriale sunt simptomatice (ex: AAA mai mare de 7 cm în diametru sau în iminența rupturii, asociat cu boala coronariană stângă) putem efectua proceduri simultane (deschise sau endovasculare), dar cu o rată a mortalității semnificativ mai mare.

Atherosclerosis is a global disease affecting multiple organs. The symptomatic lesion or the lesion with the strongest prognostic impact should be treated first.

Coronary artery disease may coexist with carotid artery stenosis, abdominal aortic aneurysms, and/or peripheral artery disease (PAD).

Recent studies have confirmed that patients with multivascular bed disease have a greater risk for major cardiovascular events than patients with monovascular attempt.

The lesions should be treated as follows: carotid, coronaries and aorta or peripheral lesions. When two arterial beds are symptomatic (ex: AAA more than 7cm in diam. or in imminence of rupture associated with left main disease) we can perform simultaneous procedures

(open or endovascular), but with higher mortality rate (25%).

• Vascular patients often have concomitant arterial disease affecting more than one territory.

• Identification of silent vascular disease is essential to improve cardiovascular mortality and morbidity rates.

• The treatment of multifocal arterial disease should include aggressive risk factor management, lifestyle changes, and appropriate drug therapy.

Fig. 2 – Predicting multi-vascular diseases in patients with coronary artery disease [3]

In these polivascular patients, cardiac complications are:

• in aortic surgery = 4% - 8%

• in carotid surgery = 2%

Fig. 1 – Prevalence and probability of panvascular disease according to age [1]

In patients with multifocal arterial disease, myocardial revascularization is indicated before the vascular intervention, with the exception of carotid lesions.

To avoid the unnecessary coronarographies, it is mandatory to identify the predictive clinical parametres for myocardical revascularization (surgical or interventional).

The surgical treatment of panvascular disease puts today difficult therapeutic strategies and often controversial.

1 - Prevalence of associated atherosclerotic disease in additional vascular territories [1,2]

Abbreviations: ABI = ankle brachial index; CAD = coronary artery disease; CAS = coronary artery stenosis; LEAD = lower extremities artery disease; RAS = renal artery stenosis

Associated Disease

Leading Disease

Table

Today’s treatment:

CABG before aorto-iliac revascularization with a waiting interval of 1-2 months.

Prof. Kieffer, Prof. Coriat (Pitie Salpetriere Hospital of Paris),in a study published in 1999 on 270 patients operated of terminal aortic pathology and 250 patients of carotid pathology.

They have identified the following factors:

• Age > 64 years old;

• The existence of coronary insufficiency with clinical manifestations (chest pain or myocardical infarction history);

• The presence of abdominal aorta aneurysm (versus occlusive pathology).

For a simultaneous surgery (CABG + terminal Aorta surgery), a rigorous selection of the patients must be made:

• young age

• good general status

• no obesity

• no COPD

In our clinic, in 2003 on one year period, on 400 direct arterial revascularisa-

tions we had 11 patients with multiple sites of atherosclerotic disease. The decade more affected was 60 – 70 years old. After 20 years, in 2023, the number of patients increases a lot, at 120, and the patients were older. (decade 70-80 y). Man were more affected.

Conclusions:

• The treatment must be personalized, decided by a multidisciplinary team

• Priority: the most symptomatic lesion or the one with the strongest impact

• It is unanimously accepted the therapeutic strategy:

• carotid – coronary – peripheral

• Panvascular disease = complex management.

In PVD patients, the prevalence of the coronary insufficiency is at least 40%50%, while myocardial revascularization is between 10% and 25%.

The prevalence of the carotid artery stenosis is 10,5%.

Coronary lesions and/or carotid ar-

tery lesions, even when treated, represent a significant risk factor of post-surgical death. It needs a systematic pre-operative screening.

Selected Bibliography:

1. Desormais, Ileana; Vlachopoulos, Ch.; Aboyans, V.; Panvascular Disease – Epidemiology and prevention, Cor et vasa 60, 2018 e3-e8, Elsevier ed.;

2. Aboyans, V.; Ricco, J.B.; Bartelink, M.E.L. et al.; 2017 ESC guidelines on the diagnosis and treatment of peripheral arterial disease, in collaboration with ESVS;

3. Adiarto, S.; Nurachman, L.A.; Dewangga, R.; Indriani, S.; Taofan, T.; Alkatiri, A.A.; Firman, D.; Santoso, A.; Predicting multivascular disease in patients with coronary artery disease; F1000 Research 2023, 12:750;

4. Naka, Katerina K.; Aboyans, V.; Vlachopoulos, Ch.; Panvascular Disease – Diagnosis and management, Cor et vasa 60, 2018, e9-e17, Elsevier ed.;

5. Paraskevas, K.I.; Geroulakos, G.; Veith F.J.; Mikhailidis, D.P.; Multifocal arterial disease: clinical implications and management; Current Opinion, 2020, vol. 35 no. 4, pg. 412-416;

6. Achim, A.; Peter, O.A.; Cocoi, M.; Serban, Adela.; Mot, S.; Dadarlat-Pop, Alexandra.; Nemes, A.; Ruzsa, Z.; Correlation between Coronary Artery Disease with other Arterial Systems: Similar, Albeit Separate, Underlaying Pathophysiologic Mechanisms; J. Cardiovasc. Dev. Dis. 2023, 10, 210; pg. 1-13.

Fig. 3: Sex ratio (2023)
Fig. 4: Risk Factors - Diabetes Mellitus (2023)
Table 3: Panvascular disease (2003)
Fig. 5: Coronary Three-Vessel Disease: LAD, Cx, RCA
Fig. 7: right common iliac stenosis, occlusion of superficial femoral artery bilateral
Fig. 8: LIMA on LAD and two vein grafts on Cx and RCA
Fig. 6: Carotid TEA

Evaluarea preoperatorie a Cardiomiopatiei Hipertrofice Obstructive

Conform ghidului ESC elaborat în 2014 pentru diagnosticul și tratamentul cardiomiopatiei hipertrofice (CMH), diagnosticul se bazează pe identificarea hipertrofiei ventriculului stâng (VS) prin orice metodă imagistică, dar cu includerea în fenotipul bolii și a identificării fibrozei miocardice, anomaliilor morfologice ale aparatului valvular mitral, anomaliile microcirculației coronariene și a modificărilor electrocardiografice[1].

CSpitalul Nord Pipera, Grupul Medical Provita, București

MH se bazează pe identificarea unor criterii morfologice cardiace iar adesea pacienții nu prezintă sau prezintă simptome ușoare, anamneza rămâne în plan secundar[2].

Detectarea hipertrofiei VS ce nu poate fi explicată de supraîncărcare presională ar trebui să determine continuarea investigațiilor pentru a diagnostica boala de bază. Evaluarea clinică ar trebui continuată cu efectuarea următoarelor investigații ce ar putea aduce argumente în favoarea diagnosticului de CMH: electrocardiogramă (EKG), ecocardiografie transtoracică (ETT) de repaus și de stres (dacă nu este detectat un gradient presional în tractul de ejecție al VS - TEVS), eventual ecocardiografie transesofagiană (ETE – utilă în special pentru evaluarea anomaliilor aparatului mitral), Holter EKG, rezonanță magnetică (RM) cardiacă (esențială atât pentru diagnostic cât și pentru managementul intraoperator al pacienților) și testare genetică.

Definiția CMH la adulți presupune identificarea unei grosimi a peretelui ventricular ≥15 mm în unul sau mai multe segmente ale VS, măsurătoare ce poate fi efectuată prin orice metodă imagistică, hipertrofia ventriculară neputând fi explicată doar de condițiile de umplere ventriculară.

Stabilirea diagnosticului poate fi o pro-

vocare în cazul în care: hipertrofia poate fi fiziologică prin antrenament fizic intens; pacienții au multiple comorbidități care ar putea explica hipertrofia cardiacă; hipertrofia este localizată bazal la un pacient vârstnic; sau prezentarea este tardivă iar VS este dilatat cu pereți subțiri și hipokinetici. De importanță crucială este diagnosticul diferențial al CMH cu hipertrofia fiziologică la sportivi, dat fiind faptul că CMH este cea mai frecventă cauză de moarte subită (MS) cardiacă la atleții tineri[3]. Este uzuală întâlnirea unei hipertrofii cardiace (grosime perete între 13 și 18 mm) la adolescenții și adulții care fac sport de performanță, însă cavitatea VS este tipic mărită[4]. Modelul de distribuție asimetric al hipertrofiei cardiace, EKG modificat cu apariția undelor Q sau modificări de repolarizare precoce, dilatarea AS, sunt modificări care pledează pentru CMH[5]

Aproape orice model de distribuție a hipertrofiei poate fi observat în CMH. Cea mai comună locație a hipertrofiei se observă la nivelul septului bazal, în continuitate cu peretele liber ventricular anterior. La un subgrup de pacienți hipertrofia poate fi izolată și focală limitată la unul sau două segmente ale miocardului VS. Des întâlnită în CMH este mișcarea sistolică anterioară a valvei mitrale (SAM), însă nu este necesară în vederea diagnosticului[6]. Alte expresii fenotipice ale bolii care nu sunt necesare pentru diagnostic dar sunt des observate în CMH includ: hipertrofia mușchilor papilari, criptele miocardice, inserții anormale ale mușchilor papilari, elongația cuspelor valvei mitrale și hipertrofie ventriculară dreaptă[6]

Există boli sistemice (boala Fabry, boala Pompe, boala Danon, sindromul Kearns-Sayre, sindromul triplu X) în care una dintre expresiile fenotipice este hipertrofia ventriculară, mimând CMH. Pentru a face diagnosticul diferențial între CMH și bolile sistemice cu variații fenotipice asemănătoare CMH, este necesară testarea genetică[7].

Examinarea clinică a aparatului cardiovascular la pacientul cu CMH aduce de cele mai multe ori puține informații. La pacienții cu obstrucția TEVS se poate ausculta suflu mezo-sistolic parasternal stâng, care nu iradiază pe vasele gâtului și care crește în intensitate dacă pacientul face manevre care reduc presarcina VS (cum ar fi manevra Valsalva sau trecerea din poziția ghemuit în ortostatism). La pacienții care asociază regurgitare mitrală, se poate ausculta suflu holo-sistolic cu intensitate maximă la nivelul apexului cardiac[1].

Evaluarea completă a unui pacient cu CMH cuprinde: electrocardiograma, ecocardiografia transtoracică de repaus și/sau de stress, eventual ecocardiografia trans -esofagiană, monitorizare Holter ECG, rezonanță magnetică cardiacă și testarea genetică. De asemenea, trebuie știut că în cazul bolilor genetice trebuie investigate și rudele de sânge.

1. Electrocardiograma

În cadrul evaluării pacientului cu CMH, electrocardiograma cu 12 derivații rămâne primul pas. În anumite cazuri, modificări electrice specifice pot diferenția CMH de fenocopii, precum amiloidoza cardiacă sau tulburări de stocare a glicogenului.

EKG poate fi la un procent mic de pacienți (6%) normală la prezentare, însă de cele mai multe ori identifică o combinație de semne ale hipertrofiei VS, anomalii de repolarizare și ale undei T (Fig.1), precum și unda Q patologică, modificări care nu sunt însă specifice CMH[8]

Fig.1. Hipervoltaj precordial și modificări de fază terminală în cardiomiopatia hipertrofică

Prof. Univ. Dr. Lucian Dorobanțu
Facultatea de Medicină, Univ. „Titu Maiorescu“ Spitalul Nord Pipera – Grupul Medical Provita, București
Dr. Toma Iosifescu

Fig.2. Ecocardiografie transtoracică – pacient sever simptomatic cu cardiomiopatie hipertrofică. (A) Sept interventricular cu hipertrofie extremă. (B) Mișcare sistolică anterioară a valvei mitrale (SAM) și contact mitro-septal. (C) Contact mitro-septal prelungit în timpul sistolei (mod M). (D) Gradient de circa 130 mmHg în tractul de ejecție al ventriculului stâng (Doppler). Adaptat după [15]

Hipertrofia apicală și formarea micro-anevrismelor poate fi sugerată de undele T gigante în derivațiile precordiale sau infero-laterale. Zonele de fibroză pot fi detectate prin prezența undei Q-patologice în cel puțin 2 derivații contigue, cu excepția aVR.

Se pot detecta tahicardii ventriculare nesusținute asimptomatice, aritmii ventriculare paroxistice[1]. Aritmiile paroxistice supraventriculare apar la 38% din pacienți evaluați în ambulator[9] iar tahicardia ventriculară nesusținută, cu o alură ventriculară cuprinsă între 120 și 200 / min, apare la o pătrime din pacienții cu CMH[10]. La evaluarea inițială se recomandă monitorizarea Holter EKG pentru a stabili riscul de MS cardiacă[11]

Datorită rolului pe care îl are electrocardiograma în diagnosticul, stratificarea riscului și managementul CMH prin detaliile pe care le poate oferi în ceea ce privește morfologia și funcția electrică a miocardului, EKG este un instrument de mare valoare în urmărirea pacienților cu CMH, fiind recomandată ori de câte ori apar modificări clinice la pacienții cu diagnostic cert de CMH.

2. Ecocardiografia

Principala metoda imagistică de evaluare și monitorizare a pacienților cu CMH este ecocardiografia bidimensională (2D).

Este esențial ca evaluările ecocardiografice să fie făcute diligent și după un protocol standard, orientarea și alinierea în planuri ortogonale trebuie să fie corecte pentru a măsura corespunzător structurile cardiace. Protocolul standard este util mai ales pentru că hipertrofia din CMH, deși interesează cel mai frecvent septul bazal, poate interesa orice segment ventricular (SIV posterior, apex VS, perete lateral)[12]. Se urmăresc parametri ca funcția sistolică și diastolică a VS, hipertrofia VS, prezența sau absența obstrucției în TEVS, volumul atriului stâng (AS), precum și date despre morfologia și funcția aparatului mitral.

Estimarea grosimii peretelui VS se face din mai multe incidențe, la sfârșitul diastolei, în secțiuni ax scurt, evitând secțiunile oblice care supraestimează hipertrofia ventriculară. Secțiunea parasternală ax lung, în modul M, ar trebui evitată pentru efectuarea măsurătorilor[13]

Conform ghidurilor de specialitate, tuturor pacienților diagnosticați cu CMH le este recomandată efectuarea ecocardiografiei 2D și Doppler, atât în repaus, cât și în timpul manevrei Valsalva – dacă gradientul de repaus este sub 50 mmHg și pacientul este simptomatic.

În cadrul urmăririi cardiologice de rutină, parte a îngrijirii optime este efectuarea de ecocardiografii transtoracice seriate. La pacienții asimptomatici, ETT se recomandă a fi repetată o dată la 1-2 ani, urmărindu-se modificări ale funcției sistolice și diastolice a VS, gradul de hipertrofie, obstrucția din TEVS, boli valvulare concomitente. Intervalul ar putea fi extins dacă pacientul rămâne clinic stabil după multiple evaluări[6]

Fiziopatologia care contribuie la obstrucția TEVS (Fig.2) include anomalii interconectate precum hipertrofia asimetrică a VS, SAM, hipertrofia mușchilor papilari cu sau fără deplasarea acestora, inserții anormale ale mușchilor papilari, cât și modificări la nivelul cuspelor valvei mitrale (VM)[14]

Ecocardiografia transesofagiană (ETE) nu este utilizată în evaluarea de rutină a pacienților cu CMH, însă aceasta poate fi luată în considerare la pacienții cu fereastră transtoracică dificilă, ca o alternativă a rezonanței magnetice. Evaluarea transesofagiană este de mare ajutor în cazuri în care mecanismul regurgitării VM este suspectat a fi degenerativ, mai ales când jetul de regurgitare are direcție anterioară sau medială, sau atunci când există prolaps valvular. Aprecierea anomaliilor aparatului mitral înainte de ablația septală este mai facilă prin ecografie transesofagiană[16]

Fig.3. Ecocardiografie transesofagiană în cardiomiopatie hipertrofică obstructivă, ce remarcă obstrucția tractului de ejecție al ventriculului stâng (VS) prin contact mitro-septal (sus, săgeată) și regurgitare mitrală importantă (jos) ETE efectuată perioperator (Fig.3) este însă esențială pentru ghidarea strategiei chirurgicale în cazul miectomiei chirurgicale,

Haemocomplettan P 1g pulbere pentru soluție injectabilă/perfuzabilă. Produsul conține 20 mg/ml brinogen uman, după reconstituire cu 50 ml apă pentru preparate injectabile pentru Haemocomplettan P 1g. Indicații terapeutice: Pentru terapia și pro laxia diatezelor hemoragice ca tratament de substituție în hipo brinogenemie, dis brinogenemie sau a brinogenemie congenitală la pacienții cu tendință la sângerare, pentru pro laxia preoperatorie; ca terapie adjuvantă pentru tratamentul sângerărilor care pot pune viața în pericol în caz de hipo brinogenemie dobândită cum sunt următoarele condiții: hipo brinogenemie de diluție în cazul pacienților cu traumatisme și pierderi severe de sânge, tulburări ale sintezei factorilor de coagulare, de exemplu: distrugerea marcată a parenchimului hepatic cu de cit de brinogen consecutiv, creșterea consumului de brinogen asociat cu alte tipuri de sângerări necontrolate terapeutic, care pot pune viața în pericol, în caz de sindrom de coagulare intravasculară diseminată și în caz de hiper brinoliză. Doze și mod de administrare: Tratamentul trebuie inițiat sub supravegherea unui medic specializat în terapia tulburărilor de coagulare. Dozele și durata terapiei de substituție depind de severitatea tulburării, localizarea și extinderea sângerării, precum și de statusul clinic al pacientului. Doza de brinogen (g) = nivelul dorit (g/l) - nivelul de bază (g/l)x1/0,017 (g/l / g/kg) x greutatea corporală (kg). Viteza de injectare sau perfuzie nu trebuie să depășească 5 ml/min. Contraindicații: Hipersensibilitate la substanța activă sau la oricare dintre excipienții enumerați la punctul 6.1 din RCP. Tromboză manifestă sau infarct miocardic, cu excepția hemoragiilor care pot pune viața în pericol. Atenționări speciale: În cazul în care apar reacții alergice sau de tip ana lactic, injectarea sau perfuzarea trebuie oprite imediat. În caz de șoc ana lactic se inițiază tratamentul standard al șocului. Reacții adverse: Rar s-au observat reacții alergice sau de tip ana lactic (precum urticarie generalizată, rash, scăderea presiunii sanguine), creșterea temperaturii corporale și foarte rar s-au observat episoade tromboembolice, incluzând infarctul miocardic și embolismul pulmonar. Grupa farmacoterapeutică: antihemoragice, brinogen uman, codul ATC: B02BB01. Perioada de valabilitate: 5 ani. Stabilitatea zico-chimică a soluției reconstituite a fost demonstrată pentru 8 ore la temperatura camerei (max. +25 °C). Precauții speciale pentru păstrare: A se păstra la frigider (2 °C-8 °C). A nu se congela! A se păstra aconul în cutie pentru a protejat de lumină. Deținătorul autorizației de punere pe piață: CSL Behring GmbH, Emil-von-Behring-str. 76, 35041 Marburg, Germania. Numărul APP - 7708/2015/01, 28.05.2015. Pentru mai multe informații, consultați rezumatul caracteristicilor produsului medicamentos (varianta revizuită în ianuarie 2020). Medicament eliberat pe bază de prescripție medicală PR.

Haemocomplettan P 1g pulbere pentru soluție injectabilă/perfuzabilă. Produsul conține 20 mg/ml brinogen uman, după reconstituire cu 50 ml apă pentru preparate injectabile pentru Haemocomplettan P 1g. Indicații terapeutice: Pentru terapia și pro laxia diatezelor hemoragice ca tratament de substituție în hipo brinogenemie, dis brinogenemie sau a brinogenemie congenitală la pacienții cu tendință la sângerare, pentru pro laxia preoperatorie; ca terapie adjuvantă pentru tratamentul sângerărilor care pot pune viața în pericol în caz de hipo brinogenemie dobândită cum sunt următoarele condiții: hipo brinogenemie de diluție în cazul pacienților cu traumatisme și pierderi severe de sânge, tulburări ale sintezei factorilor de coagulare, de exemplu: distrugerea marcată a parenchimului hepatic cu de cit de brinogen consecutiv, creșterea consumului de brinogen asociat cu alte tipuri de sângerări necontrolate terapeutic, care pot pune viața în pericol, în caz de sindrom de coagulare intravasculară diseminată și în caz de hiper brinoliză. Doze și mod de administrare: Tratamentul trebuie inițiat sub supravegherea unui medic specializat în terapia tulburărilor de coagulare. Dozele și durata terapiei de substituție depind de severitatea tulburării, localizarea și extinderea sângerării, precum și de statusul clinic al pacientului. Doza de brinogen (g) = nivelul dorit (g/l) - nivelul de bază (g/l)x1/0,017 (g/l / g/kg) x greutatea corporală (kg). Viteza de injectare sau perfuzie nu trebuie să depășească 5 ml/min. Contraindicații: Hipersensibilitate la substanța activă sau la oricare dintre excipienții enumerați la punctul 6.1 din RCP. Tromboză manifestă sau infarct miocardic, cu excepția hemoragiilor care pot pune viața în pericol. Atenționări speciale: În cazul în care apar reacții alergice sau de tip ana lactic, injectarea sau perfuzarea trebuie oprite imediat. În caz de șoc ana lactic se inițiază tratamentul standard al șocului. Reacții adverse: Rar s-au observat reacții alergice sau de tip ana lactic (precum urticarie generalizată, rash, scăderea presiunii sanguine), creșterea temperaturii corporale și foarte rar s-au observat episoade tromboembolice, incluzând infarctul miocardic și embolismul pulmonar.

Grupa farmacoterapeutică: antihemoragice, brinogen uman, codul ATC: B02BB01. Perioada de valabilitate: 5 ani. Stabilitatea zico-chimică a soluției reconstituite a fost demonstrată pentru 8 ore la temperatura camerei (max. +25 °C). Precauții speciale pentru păstrare: A se păstra la frigider (2 °C-8 °C). A nu se congela! A se păstra aconul în cutie pentru a protejat de lumină. Deținătorul autorizației de punere pe piață: CSL Behring GmbH, Emil-von-Behring-str. 76, 35041 Marburg, Germania. Numărul APP - 7708/2015/01, 28.05.2015. Pentru mai multe informații, consultați rezumatul caracteristicilor produsului medicamentos (varianta revizuită în ianuarie 2020). Medicament eliberat pe bază de prescripție medicală PR.

Distribuit în România prin: Prisum Healthcare SRL

Distribuit în România prin: Prisum Healthcare SRL Clădirea Globalworth Square, Str. Gara Herăstrău nr. 6, et. 3 Sector 2, București, 020334

Clădirea Globalworth Square, Str. Gara Herăstrău nr. 6, et. 3

Tel.: 021.322.01.71/72, Fax: 021.321.70.64

Sector 2, București, 020334

Tel.: 021.322.01.71/72, Fax: 021.321.70.64

E-mail: office@prisum.ro www.prisum.ro

E-mail: office@prisum.ro www.prisum.ro

evaluarea rezultatelor acesteia și la identificarea eventualelor complicații intraoperatorii (obstrucție sau regurgitare mitrală reziduală, defect septal ventricular iatrogen, regurgitare aortică)[17]

3. Rezonanța magnetică cardiacă

RMc oferă informații despre morfologia cardiacă, funcția ventriculară și caracteristicile miocardului ventricular[18]. Evaluarea prin această tehnică a pacienților cu CMH diagnosticată sau suspectată ar trebui făcută ținând cont de recomandările ghidurilor de specialitate și ar trebui realizată și interpretată de echipe cu experiență în imagistica cardiacă și în evaluarea cardiomiopatiilor.

RMc reprezintă standardul de aur pentru cuantificarea volumelor și maselor ventriculare, fibrozei și a fracției de ejecție. Evaluarea globală și regională a funcției contractile a VS, distribuția și extensia hipertrofiei și a fibrozei, anatomia și fiziologia VM – sunt elemente cheie în stabilirea unui diagnostic cert, a prognosticului și pentru elaborarea planului terapeutic. Astfel, RMc ar trebui efectuată încă de la evaluarea inițială. Despre morfologia și funcția VS, la pacienții cu fereastră ecocardiografică bună, se pot obține informații similare prin cele două tehnici[19]. Dacă anumite segmente ventriculare sunt greu vizualizabile, cum ar fi peretele antero-lateral sau apexul VS și VD, imagistica prin RM poate aduce informațiile lipsă, necesare diagnosticului[20]

Măsurarea masei ventriculare stângi are acuratețe superioară dacă este realizată prin RMc, care are o rezoluție spațială excelentă, dar este notabil că masa ventriculară stângă totală se corelează slab cu grosimea maximă a peretelui ventricular și poate fi normală la pacienții cu hipertrofie asimetrică, mai ales când hipertrofia interesează mai puțin de două segmente ale VS[19].

Ecocardiografia 2D poate să nu detecteze întotdeauna anevrismele apicale[21], trombii intracavitari[22], criptele miocardice sau anomaliile mușchilor papilari[23], imagistica radiomagnetică fiind o investigație mai sensibilă.

Tot imagistica radiomagnetică este utilă în evaluarea pacienților înainte de miectomia septală și poate îndruma atitudinea terapeutică deoarece poate descrie anumite caracteristici care sunt relevante pentru strategia chirurgicală, incluzând distribuția precisă a hipertrofiei septale (Fig.4), anomalii ale VM și ale aparatului subvalvular, poziționarea anormală a mușchilor papilari,

conexiuni aberante ale cordajelor, cât și anomalii ale căii de ieșire din VD. RMc poate fi folosită, utilizând proprietățile magnetice intrinseci ale țesutului miocardic și distribuția substanței de contrast pe bază de gadoliniu, pentru a detecta zonele de fibroză de la nivelul interstițiului miocardic. Captarea tardivă a gadoliniului (LGE) este utilizată pentru a diferenția miocitele normale, arhitectura acestora și ariile de fibroză. Din cauza heterogenității CMH, au fost descrise multiple modele de captare tardivă a gadoliniului: LGE subendocardică, transmurală, difuză. La 65% din pacienții cu CMH, LGE este prezentă având în mod tipic o distribuție neuniformă în zonele de hipertrofie care tind să se coreleze cu zonele de anomalii de contractilitate parietală. Fibroza este localizată mai ales în treimea medie a VS, având o distribuție multifocală, însă și VD poate fi implicat.

Extensia LGE este un marker al anomaliilor de deplasare ale pereților ventriculari și este asociată cu creșterea rigidității miocardice și cu remodelarea ventriculară avansată. Aprecierea gradului de fibroză septală prin identificarea LGE, poate fi utilă în alegerea conduitei terapeutice, înaintea tratamentului invaziv al înlăturării obstrucției din TEVS[24]

În câteva studii s-a documentat faptul că pacienții cu LGE au tendința de a avea un prognostic mai nefavorabil față de cei la care LGE nu se evidențiază[25].

4. Testarea genetică

și screening-ul familial

În majoritatea cazurilor, CMH este o afecțiune genetică a mușchiului cardiac, autozomal dominantă, cu un risc de 50% de

transmitere la urmași, al cărui defect primar este reprezentat de o mutație într-o genă care codifică o proteină sarcomerică[26].

Transmiterea autozomal recesivă este rară, apariția cazurilor sporadice fiind mai degrabă explicată prin apariția mutațiilor de novo sau prin prisma penetranței incomplete. La 60% din pacienții care îndeplinesc criteriile de diagnostic ale CMH, secvențierea proteinelor sarcomerice identifică mutații[27]

Probabilitatea de a găsi o mutație specifică CMH la pacienții cu istoric familial este mare și este minimă la pacienții vârstnici sau la cei cu manifestări atipice.

În cazuri selectate, se încurajează screening-ul clinic la rudele de gradul I, dar și a altor membri ai familiei, cu scopul de a identifica și diagnostica precoce cardiomiopatia hipertrofică.

Testarea genetică nu are impact asupra managementului clinic al bolii, însă se recomandă la pacienții care îndeplinesc criteriile de diagnostic pentru CMH pentru a permite screening-ul genetic în cascadă al rudelor. Conform ghidului european, dacă la un pacient este identificată o genă cauzală, rudele de gradul I ar trebui în primul rând testate genetic, și ulterior evaluate clinic în cazul în care se constată aceeași mutație. Când mutația este absentă, rudele nu ar trebui evaluate în continuare. Prin această metodă se poate minimaliza și evalua riscul de MS la pacienți de altfel asimptomatici[28], dar și pentru a recomanda screening clinic periodic celor care sunt la risc de a dezvolta acesta boală mai târziu în viață. Screening-ul constă în evaluarea clinică, EKG și evaluare ecocardiografică la intervale stabilite de medicul curant, în funcție de evoluție.

Membrii familiei al căror diagnostic de CMH este incert, ar trebui să efectueze RMc. La adolescenți, evoluția CMH poate fi mai rapidă deoarece se dezvoltă în concordanță cu creșterea corporală. Între 12 și 21 de ani se recomandă screening la fiecare doi ani. În cazul adulților la care evaluarea inițială nu prezintă modificări sugestive pentru CMH, screening-ul se poate face o dată la cinci ani[29]

La pacienții ce au genotip pozitiv, dar nu au hipertrofie detectată ecocardiografic, RMc poate detecta leziuni „pre-hipertrofice”, precum anomaliile care apar de regulă în CMH – modificări ale aparatului mitral (alungire cuspală, mușchi papilari hipertrofiați sau anteriorizați, cordaje tendinoase anormale), cripte miocardice, fibroză.

Bibliografie pe: revistamedicalmarket.ro

Fig.4. Cuantificarea exactă a distribuției și dimensiunilor hipertrofiei septale în diferite secțiuni de rezonanță magnetică cardiacă.

TEST

Global Hemostasis

Citrated: K, KH, RT, FF (07-601)

Kaolin TEG1

Kaolin TEG with Heparinase2

RapidTEG3

TEG Functional Fibrinogen4

PlateletMapping ®

Mapare plachetara ADP (07-615)

TEG PlateletMapping5

Trombelastograful computerizat TEG® 6s este destinat analizării elasticității cheagului de sânge prin măsurarea proprietăților mecanice de la de inițierea formării până la lizarea acestuia fiind sensibil la toate interacțiunile dintre componentele celulare și plasmatice (factori de coagulare și fibrinoliză).

DESCRIERE

Analiză cu activarea căii intrinseci. Această trasare generată de trombină identifică caracteristicile hemostatice subiacente și riscul de sângerare sau tromboză.

Elimină efectul heparinei în proba de testare. Utilizat împreună cu Kaolin standard TEG, evaluează prezența heparinei sistemice sau a heparinoidelor.

Analiză cu activarea atât a căii intrinseci cât și a celei extrinseci care accelerează procesul de coagulare în vederea obținerii cât mai rapide a proprietăților și caracteristicilor de coagulare.

Un test activat pe cale extrinsecă care utilizează un inhibitor puternic de GPIIb/IIIa plachetar pentru a restricționa funcția plachetară în vederea izolării contribuției fibrinei în coagulare. Utilizat împreună cu Kaolin TEG se poate evalua contribuția relativă a trombocitelor și a fibrinei la tăria globală a cheagurilor.

Include o urmărire specifică a receptorului de trombină și a receptorului trombocitar (ADP/AA). Identifică nivelul inhibării și agregării plachetare, utilizând Kaolin TEG (care reprezintă potențialul hemostatic de bază al pacientului) ca și control.

Sânge integral citrat

Sânge integral heparinat

Departamentele pentru care utilizarea TEG® 6s aduce un plus calității actului medical și o scădere a costurilor asociate sunt: Urgențe, ATI, Chirurgie cardio-vasculară, Ortopedie, Neurologie, Oncologie, Transplant, Obstetrică-Ginecologie, Transfuzii, Neonatologie și Pediatrie.

1 Test can�ta�v in -vitro care se folosește la monitorizarea pacienților ce prezintă tulburări ale coagulării.

2 Idem 1 pentru pacienți hepari nizați.

3 Se folosește când est e necesa ră determinarea rapidă (5 – 10minute) a tăriei ch eagului de sânge (intervenții chirurg icale, tratamente cu an�coagulante heparinice, diferențierea între coagulopa�e și sângerare mecanică).

4 Se folo sește pentru a det ermina și iden�fica coagulo pa�ile asociat e fibrinogenului (nivelul de fibrinogen, eliminarea ambiguităților asociat e tăriei maxime a cheagului, anormalitate gene�că legată de fibrino gen, diagnos�care CID).

5 Se folo sește când este n ecesară monitorizarea strictă a nivelului de inhibare al funcției plachetare de cătr e an�coagul ante față de hemostaza de bază a pacientului, pentru iden�ficarea poten țialilor factori generatori ai sângerărilor, pentru ierarhizarea factorilor de risc în evenimentele trombo�ce, pentru determinarea eficacită ții terapiei an�plachetare precum și a rezistenț ei trombocitelor la terapi e.

Un nou orizont în abordarea patologiilor cardiovasculare ș i neurologice

AspiVita100 o formulă inovativă cu eliberare controlată conține Nattokinază, serin-proteaza care a revoluționat lumea medicală prin selectivitatea înaltă pentru acumulările proteice cu potențial patogenic și prin profilul de siguranță.

AspiVita100 raspunde nevoilor profilactice și terapeutice din afecțiunile cronice vasculare cu potențial trombotic ridicat, în hipertensiunea arterială și în bolile neurodegenerative printr-un cumul deosebit de avantaje:

• Este singura enzimă fibrinolitică activă după administrare orală

AspiVita100 conține nattokinază încapsulată într-o formă cu eliberare controlată, care asigură protecția sa împotriva degradării gastrice și eliberarea treptată la nivel intestinal, pentru un efect fibrinolitic prelungit.

• Mecanism fibrinolitic și antiagregant plachetar cunoscut

Nattokinaza are un mecanism fibrinolitic dual: atât direct (asupra fibrinei), cât și indirect (prin activarea plasminei).

Profil de siguranţă ridicat: nu afectează coagularea fiziologică și sinteza normală a fibrinei

• Siguranță la grupele de risc

Studiile clinice au demonstrat siguranța administrarii, chiar și în doze de 6.000 UF, împreună cu: aspirină, clopidogrel, warfarină sau heparine injectabile la pacienții cu AVC1. De asemenea, administrarea este sigură la pacienții diabetici2 și dializați3

Motivele includerii cu succes a Aspi Vita 100 în planul de prevenţie

ș

i tratament al pacienţilor cu risc de tromboze ș i accidente vasculare:

• Eficacitate în dizolvarea trombilor: nivelul produşilor de degradare ai fibrinei (PDF) creşte treptat4 cu până la 21,2% după administrarea orală a 2000 UF (unităţi fibrinolitice) de nattokinază

• Protecție împotriva aterosclerozei arterei carotide: reduce dimensiunile plăcii de aterom cu până la 36,6% la administrare timp de 6 luni7

• Protecţia sistemului nervos împotriva degradării funcţionale: poate dizolva componentele plăcii de amiloid, indicator precoce al bolii Alzheimer6

• Acţiune antihipertensivă demonstrată5 la pacienţii cu pre-HTA şi HTA stadiul 1

Formula inovativă cu eliberare controlată Aspi Vita 100 asigură:

• Profil de siguranţă ridicat: nu afectează coagularea fiziologică şi sinteza normală a fibrinei

• Administrare uşoară şi efect prelungit: capsulele AspiVita100 cu eliberare controlată contribuie la menţinerea fluxului sanguin optim pe o perioadă de peste 12 ore

• Produs fabricat sub licență elvețiană exclusiv în Europa sub condiții farmaceutice GMP

1Shah AB., An open clinical pilot study to evaluate the safety and efficacy of natto kinaseas as an add‐on; oral fibrinolytic agent to low molecular weight heparin & anti‐platelets în acute ischeamic stroke, 2004; 2Hitosugi M., Effects of bacillus natto products on blood pressure în patients with lifestyle diseases, 2014; 3Hsia CH., et al, Nattokinase decreases plasma levels of fibrinogen, factor VII and factor VII în human subjects, 2009; 4Kurosawa Y. et al., A single-dose of oral nattokinase potentiates thrombolysis and anticoagulation profiles, 20155Kim JY et al., Effects of nattokinase on blood pressure: a randomized, controlled trial, 2008; 5Kim JY et al., Effects of nattokinase on blood pressure: a randomized, controlled trial, 2008; 6Ruei-Lin Hsu et al., Amyloid-Degrading Ability of Nattokinase from Bacillus subtilis Natto, 2009; 7Ren NN. et al., A clinical study on the effect of nattokinase on carotid artery atherosclerosis and hyperlipidaemia, 2017

Cum alegem între valvuloplastie

și înlocuirea valvei mitrale?

Tratamentul chirurgical al regurgitării mitrale severe se recomandă în momentul în care aceasta devine simptomatică sau asociază disfuncţie de ventricul stâng, fibrilaţie atrială, hipertensiune pulmonară sau dilatare atrială stângă secundară(1)

ACol. Șef de Lucrări

Facultatea de Medicină, Universitatea „Titu Maiorescu“ București, SCUMC „Dr. Carol Davila”

Dr. Silviu Andrei

Medic rezident Cardiologie

SCUMC „Dr. Carol Davila”

flaţi în faţa indicaţiei de tratament chirurgical, următorul pas este reprezentat de decizia asupra abordării care va fi urmată, dacă pacientul va beneficia de valvuloplastie sau de o proteză valvulară(1).

Valvuloplastia este preferată înlocuirii valvei mitrale deoarece evită necesitatea de terapie anticoagulantă pe termen lung, disfuncţia de proteză sau ‘’leak’’-ul paravalvular, asociază un risc procedural mai mic și a demonstrat rezultate superioare pe termen lung, însă aceasta este luată în considerare după evaluarea amănunţită a patologiei valvulare și a consecinţelor fiziopatologice. Dacă totuși este necesară înlocuirea valvei mitrale, se preferă prezervarea cordajelor sau reconstrucţia aparatului subvalvular, aceste tehnici fiind asociate cu prezervarea funcţiei ventricului stâng și supravieţuire mai bună faţă de înlocuirea totală a întregului sistem valvular. Înlocuirea valvei mitrale este preferată în situaţiile în care valva este sever afectată de endocardită sau de boala reumatismală, dacă aceasta prezintă depozite de calciu sau fibroză extensivă sau aparatul subvalvular reprezentat de mușchii papilari și de cordaje prezintă le-

ziuni semnificative secundare ischemiei, dilatării ventriculului stâng, endocarditei sau depozitelor imune din boala reumatismală(1)

Tehnicile de reparare a valvei mitrale sunt variate și adaptate patologiei valvulare, fiind disponibile anuloplastia în timpul căreia se strânge inelul valvei mitrale insuficiente, valvuloplastia care realizează repararea defectelor valvulare sau ale aparatului subvalvular sau Mitraclip, o procedură nouă minim invazivă, utilizată la pacienții cu un risc mare pentru intervenție chirurgicală prin care se introduce un cateter ghid și un sistem care conține clipul cu două „brațe”, fiecare cu o porțiune centrală (“gripper”) care facilitează unirea celor două foițe ale valvei(2),(3)

Nr.1 - Mitraclip În ceea ce privește repararea defectelor valvulare, s-au format 2 tehnici care folosesc principii diferite, cea franceză dezvoltată de Carpantier în care anatomia valvulară este reconstruită printr-o rezecţie extensivă a cuspei, manipularea cordajelor prin fixarea cuspei afectate la cordajele sănătoase și anuloplastie rigidă, pe când cea americană presupune o minimă rezecţie a cuspei, anuloplastie flexibilă, iar aparatul subvalvular este refăcut prin folosirea de neocordaje artificiale(4) Stenoza mitrală reumatismală reprezintă o patologie frecvent întâlnită la pacienţii vârstnici. Aceștia beneficiază de comisurotomie percutană cu balon (CPB) dacă devin simptomatici, nu aso-

Figura Nr.2 – „Corecţia franceză“ dezvoltată de Carpantier

ciază insuficienţă mitrală mai mult decât ușoară, nu prezintă tromb la nivelul atriului stâng, iar hemodinamic se obiectivează presiuni de peste 25mmHg în artera pulmonară și un gradient transmitral mediu de peste 15mmHg. Altfel, pacienţii asimptomatici sunt evaluaţi pentru CPB dacă se prezintă cu fibrilaţie atrială nou diagnosticată sau asociază presiuni de peste 50mmHg în artera pulmonară. În cazul în care valvulotomia cu balon nu este disponibilă, a eșuat în antecedente sau valva mitrală este sever îngroșată cu fibrozarea aparatului subvalvular, se indică înlocuirea valvei mitrale. Alte 2 situaţii în care nu se poate realiza procedura minim invazivă și este necesară intervenţia pe cord deschis prin sternotomie sau toracotomie sunt reprezentate de boală mitrală care asociază insuficienţă moderată sau severă sau de prezenţa unui tromb la nivelul atriului stâng(5)

În insuficienţa mitrală acută secundară endocarditei infecţioase, infarctului miocardic acut sau ruptura spontană a cordajelor unei valve mitrale mixoma-

Figura
Dr. Alice-Elena Munteanu

Figura Nr. 3 – CPB la pacienţii care au dezvoltat complicaţii secundare stenozei mitrale severe

Figura Nr.4 – Comisurotomie percutană cu balon pentru stenoza mitrală

toase, în cazul în care cordul nu este precondiţionat de o insuficienţă mitrală cronică moderat-severă care să adapteze treptat ventriculul stâng, supraîncărcarea acută a cavităţilor stângi duce la edem pulmonar acut și hipoperfuzie periferică, motiv pentru care valvuloplastia de urgenţă cu repararea valvei mitrale este salvatoare de viaţă(5).

O patologie mult mai comună, insuficienţa mitrală cronică beneficiază de intervenţie chirurgicală în momentul în care devine simptomatică sau dacă funcţia ventriculului stâng începe să sufere. De obicei este preferată repararea valvei mitrale prin valvuloplastie deschisă, însă riscul chirurgical prohibitiv ne poate îndruma către o reparare transcateter dacă

anatomia valvulară ne avantajează, iar speranţa de viaţă a pacientului depășește 1 an. Repararea regurgitării mitrale secundare disfuncţiei ventriculului stâng poate fi abordată minim invaziv transcateter în cazul unei anatomii valvulare favorabile, fracţie de ejecţie între 20% și 50%, diametru al ventriculului stâng mai mic de 70mm și presiune în artera pulmonară care nu depășește 70mmHg. În insuficienţa mitrală severă simptomatică asociată bolii coronariene, se preferă înlocuirea valvei mitrale cu prezervarea aparatului subvalvular. Studiile clinice au comparat evoluţia pacienţilor cu insuficienţă mitrală secundară care au beneficiat de proceduri de valvuloplastie și cea a cazurilor tratate prin înlocuire valvulară, fiind observată o incidenţă mai mare a regurgitării mitrale severe recurente, a decompensărilor insuficienţei cardiace și a numărului de spitalizări în grupul la care s-a optat pentru repararea valvulară. Având în vedere că în regurgitarea mitrală primară nu s-a observat o astfel de diferenţă între grupurile supuse celor 2 abordări diferite, acest lucru pune în evidenţă faptul că insuficienţa mitrală secundară și cea primară sunt patologii diferite ce necesită abordări specifice mecanismului care a dus la insuficienţa valvulară(5)

Figura Nr.5 – Intervenţia asupra insuficienţei mitrale primare în diverse situaţii întâlnite: funcţie sistolică prezervată sau în scădere, risc chirurgical important și distrugere valvulară reumatismală În cazul insuficienţei mitrale secundare, clasa de incaţie pentru intervenţia chirurgicală este mai slabă față de valvulopatia primară, fiind practicate intervenţia în timpul operaţiei de revascularizare

Figura Nr. 6 – Particularităţile indicaţiilor de intervenţie chirurgicală asupra insuficienţei mitrale severe

miocardică prin by-pass, înlocuirea valvei cu prezervarea aparatului subvalvular sau repararea transcater la pacienţii cu disfuncție sistolică de ventricul stâng(5)

În concluzie, există o mulţime de situaţii particulare care necesită o abordare individualizată în funcţie de anatomia valvulară, starea miocardului pe care se realizează intervenţia, dar şi de experienţa centrului în care este tratată patologia valvulară. O investigare amănunţită a etiologiei valvulopatiei, a consecinţelor hemodinamice secundare acesteia şi evaluarea funcţiei globale a cordului ne ghidează către tehnica chirurgicală optimă.

Bibliografie:

1. European Society of Cardiology – ‘’Mitral valve disease: when should we call in the cardiac surgeon?’’ – Dr. Rana Sayeed

2. www.mayo.org – Mitral Valve Repair and Mitral Valve Replacement

3. Monza Ares - https://medicina-interventionala.ro/noutati/regurgitarea-mitrala-severa-tratata-cu-mitraclip/

4. Circulation, 1993 - Jebara VA, Fabiani JN, Acar C, Deloche A, Carpentier A.

5. 2020 ACC/AHA Guideline for the Management of Patients With Valvular Heart Disease

Tratamentul telangiectaziilor și al venelor reticulare. Discuție cu privire la eficiența laser-terapiei vs. scleroterapie

Boala venoasă cronică (BVC) a membrelor inferioare este favorizată de următorii factori: ortostatismul prelungit, obezitatea, sexul feminin, sedentarismul, sarcina, deficiențe musculare la nivelul membrelor inferoare, anchilozele, insuficienta cardiaca si afectiunile pulmonare cronice, sarcina etc.

VDr. Bogdan

Dimitrie Niculae

Medic specialist

Dermatovenerologie

CEO LaserMed București

Dr. Ioan-Teodor Cristea

Medic rezident Dermatovenerologie

SUU „Elias” București, Doctorand

UMF „Carol Davila” București

enele reticulare și telangiectaziile apar din cauza insuficienței valvelor venoase și a creșterii presiunii venoase locale, dar sunt asimptomatice sau dau simptome minore.

Varicele primare, sau esențiale, au o cauză familială, fiind transmise genetic. Factorii genetici pot influența structura moleculară (de exemplu, colagenul), aspectul anatomic (numărul de valve venoase) sau arhitectura sistemului venos.

Reținem faptul că staza venoasă exercită o multitudine de efecte nocive asupra structurii țesuturilor din jur și, mai ales, asupra tegumentului, având un impact major asupra sănătății individului. Dintre modificările care apar la acest nivel, putem enumera: flebedemul, dermatita pigmentară și purpurică (dermatita ocră Favre-Chaix), eczema de stază, lipodermatoscleroza, tromboflebita varicoasă, atrofia albă Milian, acroangiodermatoza piciorului, pseudo-sindromul Klippel-Trenaunay și, nu în ultimul rând, ulcerul venos.

Clasificarea CEAP joacă un rol fundamental în managementul pacienților cu boală venoasă cronică (BVC), fiind esențială în orientarea atât a investigațiilor paraclinice, cât și a tratamentului ulterior. Această clasificare evaluează boala pe baza unor criterii clinice, etiologice, anatomice și fiziopatologice, facilitând stabilirea unei strategii terapeutice personalizate. Fără un tratament corect și o

intervenție timpurie, BVC are o evoluție progresivă, spre agravare, cu riscul de complicații severe, cum ar fi ulcerele venoase sau insuficiența venoasă cronică.

Tratamentul venelor reticulare și al telangiectaziilor, precum și uneori al dilatațiilor varicoase mici, este în general fie conservator (medicamentos, compresie elastică), fie radical (chirurgical, sclerozant, laser). Laserul endovenos, precum și tratamentul chirurgical, sunt, în general, rezervate dilatațiilor venoase care depășesc 10 mm. Înaintea realizării oricărei proceduri este necesară efectuarea unei ecografii Doppler pentru evaluarea atât circulației venoase, cât și arteriale, la nivelul membrelor inferioare. Această metodă de investigare permite atât diagnosticul, cât și evoluția pre- si post-tratament. (POZĂ 1 – leziuni vasculare superficiale văzute ecografic)

Scleroterapia varicelor a apărut ca metodă terapeutică la mijlocul secolului al XIX-lea și rămâne o procedură relevantă și în prezent. Scopul acestei inter-

VAR I CO S E VE I N S:

W H AT AR E T HE Y?

Varices or varicose veins are dilated veins that tend to take a tor tuous course. The phenomenon appears due to circulator y venous insufficie ncy: this disease is widespread and it affects almost 25% of the feminine population worldwide

HO W DOE S

T H E T RE ATM E N T WOR K?

The Endovenous laser procedure with Eufoton 1470nm devices is a a minimally invasive, delicate and fast procedure for the treatment of venous insufficiency through the use of an endovascular laser fiber.

T he p roc ed u re is p e r form ed w it h t he int r o d uction of t h e

fib e r in t o t he v e in T he l a s e r e f fe ct p romot e s t he w rin k lin g of t he v e in wh ic h de finit e ly d is a pp ea rs a ft e r a fe w week s a ft e r t he a bl a tion

T he limb is t he re fo r e put in motion in a n e l a sti c comp r e ssion s toc k. N orm a l soci a l a cti v ity is imm ed i a t e l y re s to red

INDICATION S

The endovenous procedure with the 1470nm laser allows to treat the main pathologies that involve lower limbs:

• G rea t a n d sm a ll s a p he nous v e ins ;

• Coll a t e ra l a n d re ticul a r v e ins ;

• Va scul a r a n d hae morr h oi da l m a lform a tions ;

• Ve nous ulc e rs ;

• Te le a n ge ct a si a s

A D VA N TA GE S

• Re solution of l eg he a v in e ss p r obl e ms ;

• M a ximum ae st he tic comfo r t ;

• Ra pi d t rea tm e nt ;

• P rompt re turn to norm a l a cti v iti e s a n d da ily li v in g ;

• E xc e ll e nt clinic a l a n d ae st he tic re sults ;

• T he p roc ed u re is minim a lly in v a si v e

OTHER INDICATIONS

• Hemorrhoids ;

• Pilonidal cyst ;

• Fistula ;

• Analfissures ;

• Ulcers ;

• Hyperhidrosis

RE SU LT S

venții medicale este de a elimina refluxul în sistemul venos superficial și varicele vizibile. Efectul terapeutic al scleroterapiei se bazează pe injectarea unui agent sclerozant, care irită straturile endoteliale și subendoteliale ale venelor, declanșând o reacție inflamatorie ce duce la fibroză și la obliterarea nontrombotică a vasului afectat. Această metodă ajută nu doar la prevenirea complicațiilor bolii varicoase, ci și la îmbunătățirea aspectului estetic al picioarelor. Este important de menționat că scleroterapia se aplică exclusiv în cazul varicelor primare, nu și în cele secundare, asociate cu obstrucția sistemului venos profund. (POZĂ 2 -pre și 3- post-scleroterapie vene reticulare membrul inferior)

În prezent, agenții sclerozanți utilizați includ iodul sub formă de Lugol, tetradecil sulfatul de sodiu, salicilatul de sodiu, hydroxy-polyethoxy-dodecane, glicerina cromată și moruatul de sodiu. Scleroterapia este contraindicată în stările de hipercoagulabilitate și nu se practică pe varicele tronculare ale safenei mari. O contraindicație absolută este alergia la produsul sclerozant, iar contraindicațiile relative includ venele dilatate la sportivi, sarcina, alăptarea, hipertensiunea arterială severă și expunerea la soare imediat după procedură.

Complicațiile posibile ale scleroterapiei includ tromboembolismul (complicație severă), reacțiile vagale, alergiile la agentul injectat, echimozele la locul de injectare, flebite superficiale ascendente, tulburări de sensibilitate, pigmentări și apariția varicozităților secundare. Venele reticulare pot fi tratate fie prin sclerozare, fie prin utilizarea laserelelor vasculare (PDL, Nd-YAG, diodă, lasere solide etc.).

Conform unui studiu recent, rata de recurență în scleroterapie variază în funcție de gravitatea varicelor, dar poate ajunge până la 25% în cazuri complexe. De asemenea, scleroterapia este considerată eficientă, însă tratamentele chirurgicale pot avea o rată de succes pe termen lung mai bună, în special în cazurile avansate.

Pentru tratamentul telangiectaziilor, venelor reticulare, varicelor și, uneori, în cazul unor displazii ale sistemului venos (precum sindromul Klippel-Trenaunay, angiomatoze superficiale sau sindromul Parkes-Weber), pot fi utilizate diverse lasere, printre care:

• Nd-YAG (λ1064 nm) – cromoforul principal de absorbție este hemoglo-

bina. Este eficient pentru tratamentul vaselor mari și profunde;

• PDL (Pulsed Dye Laser) – emite la o lungime de undă de 585-600 nm (galben), cu absorbție în oxihemoglobină. Este indicat pentru vase superficiale și de dimensiuni mici;

• Laser cu Argon (λ 488-515 nm, albastru-verde) – utilizat în special pentru tratamentul hemangioamelor mici;

• Anumite lasere solide;

• Echipamente IPL (λ 500-1200 nm) –care au aplicabilitate largă în tratamentul leziunilor vasculare superficiale. Laserul cel mai modern combină două lungimi de undă – 589 nm și 1319 nm. Laserul de culoare (585-600 nm) are nevoie de un puls cu durată între 25 ms150 ms, durata pulsului fiind interdependentă de mărimea vasului. Nanopulsurile au calitatea de a nu încălzi țesutul, de a nu produce inflamație, respectiv arsură, dar aduce suficientă energie ca să apară efectele vasculare. Cel mai important obiectiv în tratamentul cu laser este să știm când trebuie oprit tratamentul (energia). Endpoint-ul intervenției este vasoconstricția și eritemul perivascular.

Laserul 589 nm acționează prin fototermoliză selectivă, fiind absorbit în principal de hemoglobină, ceea ce îl face ideal pentru tratarea vaselor superficiale și de dimensiuni mici. Această lungime de undă este eficientă pentru tratarea telangiectaziilor și a leziunilor vasculare roșii, asigurând o reducere rapidă și eficientă a acestora.

Laserul 1319 nm penetrează mai profund în piele și este utilizat în principal pentru stimularea regenerării colagenului și tratamentul leziunilor mai mari sau mai profunde, cum ar fi venele reticulare și varicele mici. De asemenea, acest laser are un efect benefic asupra texturii pielii și poate ajuta la îmbunătățirea tonusului și a elasticității cutanate.

Boala venoasă cronică (BVC) este asociată cu declanșarea unui răspuns inflamator, implicând infiltrarea țesuturilor perivasculare cu celule prezentatoare de antigen, leucocite, limfocite T, limfocite B, și diverse citokine. Cercetările recente oferă noi informații despre efectul imunomodulator al laserelor în tratarea diferitelor afecțiuni. Un alt beneficiu important este capacitatea laserelor de a acționa pe suprafețe mai mari, având un efect global și uniform asupra țesuturilor afec-

tate.Contraindicațiile includ afecțiuni precum tulburările de coagulare, sarcina, sensibilitatea la lumină (fotosensibilitate) și afecțiuni dermatologice active, cum ar fi infecțiile cutanate în zona de tratament. De asemenea, pacienții cu istoric de cheloid sau cicatrizare anormală trebuie evaluați cu atenție înainte de a efectua tratamentul.

Acest nou tip de laser utilizează o frecvență de pauză între pulsuri de aproximativ 5-20 Hz, ceea ce permite țesutului să se răcească între impulsuri. Acest lucru previne acumularea excesivă de căldură, reducând riscul de arsuri, un control mai bun și asigurând o siguranță sporită

Deși acesta este considerat un tratament minim invaziv, complicațiile pot include eritemul tranzitoriu, edem localizat sau, în cazuri rare, hiperpigmentare post-inflamatorie. Cu toate acestea, riscurile sunt reduse semnificativ datorită preciziei și controlului oferit de tehnologia laserului.

Bibliografie

Farah MH, Nayfeh T, Urtecho M, et al. A systematic review supporting the Society for Vascular Surgery, the American Venous Forum, and the American Vein and Lymphatic Society guidelines on the management of varicose veins. J Vasc Surg Venous Lymphat Disord. 2022;10(5):1155-1171. doi:10.1016/j.jvsv.2021.08.011

Gibson K, Gunderson K. Liquid and Foam Sclerotherapy for Spider and Varicose Veins. Surg Clin North Am. 2018;98(2):415-429. doi:10.1016/j.suc.2017.11.010

Rigby KA, Palfreyman SJ, Beverley C, Michaels JA. Surgery versus sclerotherapy for the treatment of varicose veins. Cochrane Database Syst Rev. 2004 Oct 18;2004(4):CD004980. doi: 10.1002/14651858. CD004980. PMID: 15495134; PMCID: PMC8786268.

He L, Zheng Y, Liu M, et al. Nd:YAG-photobiomodulation enhanced ADSCs multilineage differentiation and immunomodulation potentials. Lasers Med Sci. 2023;38(1):190. Published 2023 Aug 22. doi:10.1007/ s10103-023-03818-x

Liu JJ, Fan LH, Xu DC, Li X, Dong ZH, Fu WG. The endovenous laser treatment for patients with varicose veins. Pak J Med Sci. 2016 Jan-Feb;32(1):55-8. doi: 10.12669/pjms.321.8610. PMID: 27022345; PMCID: PMC4795889.

Fayyaz F, Vaghani V, Ekhator C, Abdullah M, Alsubari RA, Daher OA, Bakht D, Batat H, Arif H, Bellegarde SB, Bisharat P, Faizullah M. Advancements in Varicose Vein Treatment: Anatomy, Pathophysiology, Minimally Invasive Techniques, Sclerotherapy, Patient Satisfaction, and Future Directions. Cureus. 2024 Jan 10;16(1):e51990. doi: 10.7759/cureus.51990. PMID: 38344644; PMCID: PMC10853729.

Stratamed şi Strataderm

Terapia profesională pentru managementul rănilor și cicatricilor

Folosiţi Stratamed imediat după orice tip de intervenție chirurgicală.

Adresați-vă medicului sau farmacistului dumneavoastră pentru mai multe informații.

Stratamed – pansament pentru vindecarea mai rapidă a rănilor și prevenirea precoce a cicatricilor anormale

Utilizaţi Strataderm pe cicatricile existente.

Adresați-vă medicului sau farmacistului dumneavoastră pentru mai multe informații.

Strataderm - pentru prevenirea şi tratamentul cicatricilor anormale

Chirurgie MOHS1 - buza superioară Monoterapie cu Stratamed

Cicatrice hipertrofică liniară după excizia chirurgicală a unui nev2 - torace

Vârsta cicatricilor înainte de tratament: 14 luni

Cicatricea din stânga a rămas netratată, cicatricea din dreapta a fost tratată timp de 2 luni

Începerea tratamentului cu Strataderm După 2 luni de tratament cu Strataderm

Atenție: Numai pentru uz extern. Nu trebuie aplicat peste alte tratamente pentru piele fără sfatul medicului dumneavoastră. Dacă apare iritația, întrerupeți utilizarea și consultați medicul dumneavoastră. Poate păta hainele dacă nu este complet uscat. În cazul în care apar pete, curățarea chimică ar trebui să fie capabilă să le îndepărteze fără a deteriora țesătura. Pentru o depozitare corectă, vă rugăm să închideți tubul bine cu capacul. A nu se lăsa la îndemâna copiilor. Nu utilizați după data de expirare (EXP) imprimată pe tub. Data de expirare (EXP) nu se modifică odată ce tubul a fost deschis. Strataderm: nu trebuie aplicat pe arsuri de gradul trei sau pe răni deschise. Nu trebuie pus în contact cu membranele mucoase sau cu ochii. Stratamed: nu trebuie pus în contact cu ochii. Nu este adecvat pentru plăgi umede, foarte exsudative, răni tunelizate sau arsuri de gradul III. În cazul în care rana dumneavoastră prezintă semne de infecție sau nu se vindecă după 30 de zile, consultați medicul dumneavoastră.

Ingrediente din Stratamed: Polisiloxani, rășină siloxanică.

Ingrediente din Strataderm: Polidimetilsiloxani, siloxani, siliconi alchilmetilici.

Referinţe: 1. Prezentat în cadrul Societății Internaționale de Chirurgie Dermatologică (ISDS) 2015 (Primăvara) de Dr. Benedetto, Cartagena (Columbia). 2. Date la dosar, 2010 (Studiul Dr. A. Irwin). Stratpharma AG. Produs de: Stratpharma AG, Aeschenvorstadt 57, CH-4051 Basel, Elveția

Stratamed este dispozitiv medical de clasa IIa, cu marcaj CE pentru Europa, înregistrat TGA și FDA. Strataderm este dispozitiv medical de clasa I, cu marcaj CE pentru Europa, înregistrat TGA și FDA.

Începerea tratamentului cu Stratamed
După 2 luni de tratament cu Stratamed

TIVA în cadrul anesteziei pediatrice

TIVA in pediatric anesthesia

Abstract: Total intravenous anaesthesia (TIVA) has been widely used in adult anesthesia practice and its use in paediatrics is becoming more common. There are many indications and potential benefits of TIVA; however, many anaesthetists are unfamiliar with how to provide TIVA in children. Even, many principles of TIVA could be borrowed from adults to children; there are some important peculiarities and limitations that anaesthetists should be aware of.

Dr. Eugeniu Oleineac

Medic primar ATI, Spitalul Clinic de Urgență pentru Copii „Maria Sklodowska Curie”, București

Introducere

Aruncând o scurtă privire asupra istoriei și evoluției anesteziei de-a lungul secolelor, vom rămâne impresionați de faptul ca specialitatea noastră a evoluat foarte mult comparativ cu alte domenii medicale.

Este bine știut faptul că progresul tehnic în cadrul medicinei pediatrice în general și anesteziei pediatrice în particular are loc cu mult mai lent. În acest sens, odată cu introducerea propofolului în practica clinică, 1982, anestezia total in-

Avantaje

travenoasă a câștigat un areal foarte întins în cadrul anesteziei la pacientul adult.

Scopul acestui articol este de a descrie particularitațile pediatrice ale tehnicii TIVA, pornind de la conceptul farmacocinetic si farmacodinamic, metodele tehnice de administrare TIVA precum si recomandări practice. Acest articol vizează tehnica TIVA folosind propofol și remifentanyl, această combinație fiind folosită cel mai des în practica curentă.

Raționalitatea folosirii TIVA

Indicațiile folosirii TIVA pot fi categorizate în cele de: necesitate, beneficiu și alegere. Avantajele și dezavantajele acestei tehnici de anestezie comparativ cu anestezia inhalatorie clasică, sunt menționate în tabelul 1. (cf Practicalities of Total

Tabel 1 Avantajele și dezavantajele folosirii TIVA la copii

• reducerea incidenței vomei și grețurilor postoperatorii

• reducerea poluării sălii de operație

• reducerea incidenței delirului postanestezic

• reducerea reactivității căilor aeriene, a incidenței bronhospasmului și laringospasmului

• tehnica indicată în boli neuromusculare, miopatii și distrofii musculare

• interferența redusă cu monitorizarea prin potențiale evocate

• asociată per total cu un cost mai mic

• tehnică sigură de menținere în cadrul procedurilor de instrumentare a căilor aeriene (bronhoscopie, laringoscopie în suspensie)

Dezavantaj

• necesitatea prezenței unui acces venos preinducție, durere la injectare

• risc de contaminare bacteriană

• imposibilitatea măsurării concentrației plasmatice

• probleme de administrare (efracție venoasă, deconectare) – risc de trezire intraanestezică

• necesitatea de echipament specializat (injectomate/pompe TCI)

• Instruire dificitară a medicilor în timpul specializării

• medicamentele au nevoie de metabolizare pentru a fi eliminate

• riscul inducerii pertubărilor metabolice

• irosire medicamentoasă

• dificultatea monitorizării profunzimii anesteziei la copiii mici

Intravenous Anesthesia and Target-controlled Infusion in Children Brian J. Anderson, Ph.D., F.A.N.Z.C.A., F.C.I.C.M., Oliver Bagshaw, M.B.Ch.B., F.R.C.A. Anesthesiology 2019; 131:164–85 )

Necesitatea

Indicația absolută pentru folosirea TIVA este susceptibilitatea de hipertermie malignă la un copil cu istoric familial sugestiv sau patologie predispozantă (distrofie musculară).

Beneficiu

Beneficiile majore sunt reducerea incidenței greței și vomei postoperatorii, trezire rapidă și coerentă (reducerea delirului postanestezic), reducerea reactivității căilor aeriene și a efectelor adverse ale extubării, ameliorarea calității monitorizării neurofiziologice (ex. intervențiile pe coloană vertebrală/maduva spinării), poluarea redusă a sălii de operație.

Alegerea

Folosirea iterativă a tehnicii TIVA menține gradul de competență pentru situații când folosirea acestei tehnici este indispensabilă.

Contraindicații

Probabil, folosirea propofolului ar trebui sa fie evitată în cazul pacienților cu boli mitocondriale deoarece, aceștia sunt susceptibili de a dezvolta sindromul asociat perfuziei de propofol. Cauza sindromului asociat cu perfuzia de propofol încă nu este pe deplin elucidată dar, se presupune că ar fi implicat un metabolit al propofolului care ar inhiba lanțul respirator mitocondrial, ceea ce duce la reducerea sintezei de ATP și disfuncție a proceselor metabolice. Pacienții care suferă de boli metabolice sunt, per se, într-un deficit energetic global, astfel postul

Fig. 1 Modelul farmacocinetic tricompartimental (cf. Principles of total intravenous anaesthesia: basic pharmacokinetics and model descriptions Z Al-Rifai MBChB (Hons) MPharm (Hons) FRCA1 and D Mulvey BSc (Hons) MBBS MD FRCA2, BJA education, 2019)

alimentar prelungit împreuna cu perfuzia de propofol în concentrații mari pot induce apariția acestui sindrom. În schimb, perfuzia de soluții glucozate ar putea reduce acest risc.

Definiție

TIVA presupune inducerea și menținerea anesteziei generale prin medicație administrată exclusiv pe cale intravenoasă.

TIVA poate fi asigurată prin sistem:

• Manual – Manual TIVA, în acest caz, setăm rata de infuzie a medicamentului pe un injectomat simplu

• TCI – Target Controlled Infusion, unde setăm concentrația plasmatică sau de efect la care pacientul se mentine anesteziat, în timp ce o pompă dotată cu un algoritm farmacocinetic, calculează volumul bolusului, rata de infuzie a medicamentului pentru a menține concentrația plasmatică stabilită de către operator.

Farmacocinetica

Algoritmul farmacocinetic care stă la baza funcționării sistemului TCI este reprezentat de către modelul farmacocinetic tricompertimental (Fig 1). Acest tip de comportament farmacocinetic este aplicabil pentru majoritatea drogurilor anestezice intravenoase.

Aceste compartimente sunt niste structuri ipotetice care ne permit să descriem comportamentul unui medicament în organism.

Modelul tricompartimental consta din:

• compartiment central,

• compartiment cu echilibrare rapidă

• compartiment cu echilibrare lentă

În acest model medicamentul este injectat dar și eliminat din compartimentul central, acesta este și volumul inițial de distribuție, V1. Acest volum nu reprezintă volumul plasmatic sau volumul sanguin, acesta este un volum ipotetic, care poate fi net superior volumului sanguin, mai ales pentru medicamente foarte lipofile sau cu legare proteică crescută.

Din compartimentul central drogul “trece reversibil”, se distribuie reversibil în cele două compartimente periferice. Aceasta distribuire și redistibuire are loc cu o anumita viteza, determinată de niște constante (K), prin convenție acestea sunt numite K10 pentru constanța de eliminare, iar celelalte descriu distribuirea și redistibuirea intercompartimentală.

K e0 descrie rata de echilibrare între concentrația plasmatică și concentrația la nivel efect, la nivel de sistem nervos central. Echilibrarea acestor concentrații depinde de debitul cardiac, fluxul sanguin cerebral, gradul de liposolubiltate al medicamentului, permeabilitatea barierei hematoencefalice, pK de ionizare, etc. Este imposibil să măsurăm concentrația efectivă la nivel neuronal (celular), în schimb, putem monitoriza efectul hipnotic al medicamentului. Cunoscând concentrația plasmatică la care a ajuns pacientul și monitorizând electroencefalografic viteza cu care se instalează efectul hipnotic și cât durează acesta, putem deduce matematic această constantă.

Conceptul de Timp de Înjumătățire

Dependent de Context

În situația în care administrăm un medicament în perfuzie continuă, acesta se distribuie spre compartimentele periferice. Atunci când perfuzia este oprită,

medicamentul se redistribuie spre compartimentul central, de unde acesta este eliminat.

În această situație, timpul de înjumătățire al medicamentului depinde de durata de perfuzie și efectiv de ce cantitate de medicament s–a acumulat în țesuturi.

Conceptul timpului de înjumătățire dependent de context reprezintă timpul de înjumătățire al medicamentului dependent de durata perfuzarii continue a acestuia.

Acest timp de înjumătățire a concentrației plasmatice este diferit pentru diferite medicamente anestezice. (Fig 2) Comparând Propofolul cu Tiopentalul, dupa 6 ore de perfuzie, timpul de înjumătățire va fi foarte mare pentru Tiopental, ceea ce îl face indezirabil pentru TIVA În cadrul opioizilor, merită menționat “fenomenul” remifentanylului, ultimul fiind metabolizat de esterazele plasmatice, a căror capacitate de liză este foarte mare, are un timp de înjumătățire dependent context de aprox. 6 min. și de fapt este considerat « insensibil » din punct de vedere contextual.

Cu alte cuvinte pentru TIVA - TCI sunt recomandate medicamentele cu efect rapid, metabolizare, clearance rapid și timp de înjumătățire contextual scurt, ex: Propofol, Remifentanyl, Alfentanyl.

and model

Z

Particularitățile proceselor farmacocinetice la copii

Marea diferență dintre procesele farmacocinetice și farmacodinamice la copii și adulți sunt determinate de perioada de creștere și dezvoltare. După vârsta de 2 ani, clearance-ul medicamentelor exprimat în kg pe unitate de timp crește vădit. Dozele trebuie scăzute la nou născuți, prematuri, din cauza imaturității metabolice. La copiii mai mari dozele anestezicelor sunt de obicei mai mari, raportate la greutate, datorită volumului de distribuție mai mare, comparativ cu adultul.

Fig 2. Timpul de înjumătățire dependent de context (cf. Principles of total intravenous anaesthesia: basic pharmacokinetics
descriptions
Al-Rifai MBChB (Hons) MPharm (Hons) FRCA1 and D Mulvey BSc (Hons) MBBS MD FRCA2, BJA education, 2019 )

Turn static files into dynamic content formats.

Create a flipbook
Issuu converts static files into: digital portfolios, online yearbooks, online catalogs, digital photo albums and more. Sign up and create your flipbook.