



HORSE: X XXXX XXXXXXX
MICROCHIP: …483
DATES OF EXAMINATION: 14TH APRIL / 17TH MAY 2021 /14TH JUNE
PLACE: XXXXX XXXX CANUNGRA
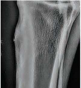
Bilateral hind cannon radiographs of X XXXX XXXXXX were taken on 14th April 21 and again 17th May 21 and 14th June 21. Initial radiographs showed a 32mm longitudinal non displaced left mid cannon saucer fracture extending 6mm into the dorsal cortex and a 44mm longitudinal displaced fracture right mid cannon 5.5mm in depth mid dorsal cortex associated proximally with a 27mm x 6.5mm secondary fracture (see right). Initially, surgical removal was recommended of the R H fracture fragment. A second series was taken on 17th May and third series on 14th June see right. Both fractures have attached and integrated with the parent bone with minor surface enthesophyte formation and periosteal activity evident.
Recommendations:
Surgery is no longer recommended; however, the colt should be monitored carefully for any swelling on either cannon. Prognosis for full return to racing is good.
Comments:
Fractures of this nature usually require surgical removal. Resolution of cortical fractures of this size without surgical intervention is not expected. Bone Gold supplementation was initiated on 14th April 21 at 3 x scoops/day and should be continued. Please do not hesitate to contact me if you have any further queries.
Yours Sincerely, Dr Andrew Watts B.V.Sc.
I remember hearing these words as a teenager from my Aunty Beryl (Beryl Riley-Chick). When I was in high school each school holidays my sister and I would go and stay with Beryl and learn about horses, but the lessons learned there extended to many other life areas too. Beryl was a renowned horsewomen in her time – with a jumping horse act, jumping through a ring of fire and ring of sharp knives, through a tunnel and over a human hurdle. She also had a whip cracking act and rode bucking horses and bulls. All dangerous feats, which meant a very high level of skill and NO room for error. Beryl’s accomplishments were extremely high - and one of her main mottos was “go slow to hurry up”. She paid attention to every little detail and as a kid who naturally wanted to ride fast everywhere, I was surprised how much she rode the horses in the walk. All of this set me up with a really great frame work for my horsemanship journey.
As all things should evolve and improve, my horsemanship style and philosophy has evolved a long way since then, mainly in the realms of wanting to create happier horses - giving them more choice and more of a voice. Inspiring them through connection (attunement, communion and deep understanding) rather than using pressure or coercion. In her day Beryl was considered one of the more evolved and kinder trainers who used less pressuring methods but the evolution or revolution continues. This is what I believe this next era of horsemanship is about – How kind and understanding can horsemanship become?
We can continue this evolution firstly because we have more time. We are not just using horses for work and survival thereby needing them to get out there on the job as soon as possible. They are mostly recreational. I include sports and performance horses in the recreation category – even for professional sports. Other factors include having more knowledge of their bodies (biomechanics), body work has evolved and its availability increased and we have better saddles, just to name a few things. However there are many things learnt from my time with Beryl that stay eternally true and have no need for evolvement. One of them is “Go slow, to hurry up”.
Of course people can go too slow and be totally inefficient, or people can be slow because they are unmotivated or feeling despondent, but I am not talking about that or to them. This message is for the high achievers and those that are always in too much of a hurry. When we slow down, things can hurry up.
This phrase can be applied to many life situations and it can be dissected in so many ways.
Like, slowing your mind down - getting calm and still, thinking clearly through situations so you can be prepared and organised. The mental stillness of quieting the mind will allow you to listen to your intuition and make better, non – emotionally reactive decisions. When we are in a fluster, which I liken to a mini-panic, we don’t make the best decisions. Listening to your gut or intuition is an important aspect of being savvy with horses. We need to get out of our head and feel with our heart, our gut and our body.
When we go slow we can get the job done right the first time, we won’t have to go back and forward because we forgot some tools required for the job for example and when done right, things will have duration and not have to be repaired or redone. These aspects of “Go slow to Hurry up” are essential for good horsemanship and a non - chaotic life. Essentially they are the results of the “centered” state that I teach about. Another big aspect of “Slow down to hurry up” is directly related to the development of horses. We humans usually want to rush and have everything done yesterday. There is a big emphasis on “hurry up” in the horse world especially for performance horses. We have race horses, cutting horses and reining horses for example, all out competing when they are still babies and of course it has detrimental effects on their soundness and longevity. This pressure also impacts on their mental and emotional states. Now days even in the dressage world there is a push for young horses to be at high levels.
When we go slow in the beginning we have more chance of actually arriving at the destination (the goal we want to achieve) because the horse will have a solid foundation - a strong physical body and a great mental and emotional state. The break down rate both physically and mentally and the number of horses that don’t make the grade in many horse disciplines is huge!!!! Not only do we have more chance of arriving at our goal, when we go slow and build solid foundations with the mind and body, but the quality of the end product,
whether that be a safe pleasurable trail riding horse or a high level performance horse will be so much greater. And, as an added bonus, they will have greater longevity in their careers.
When you only “sort of, kind of” have things in place with your training and then you proceed to the next level – then you are only ever going to get mediocre results. You just can’t get to that highest level of quality, of competition, of feeling safe on your horse, or having a great relationship with your horse if things aren’t “right” at the lower levels or stages of development. Horses never reach their full potential without rock solid foundations in their physical development and their mental learning.
A horse’s mental and emotional willingness or desire to participate has to be cultivated. A horse that is feeling pressured and who is not heard or seen as the sentient, thinking, feeling, decision making, spiritual, being that he or she is, will never reach his or her full potential or be the most safe and pleasurable horse to be around. How a horse uses their body biomechanically is directly affected by their mental and emotional state. Thereby their mental and emotional state directly affects their physical performance. We need to inspire them to “want” to participate.
“Fast tracked” horses are very often discarded because they are “not good enough” so people think they need to buy another more talented horse. The attrition rate in the horse industry is very high and so is the accident rate for humans and horses !!!! Horse riding is one of the hardest things to get insurance for.
The hazards of not getting this solid foundation
• Horses that are reactive, or shut down and then react out of the blue = very unsafe, not fun and poor performance.
• Horses that are shut down or introverted = unsafe, not fun, poor performance.
• Horses that physically break down = unfair and heartbreaking.
• Just can’t break through to that next level of performance = frustrating
A rock solid foundation also applies to the human in developing their skills to be a good rider and having skills on the ground. Everyone wants to learn the “tricks of the trade”, the fancy stuff, the high level manoeuvres, but they need to learn “the trade” first, a high level of foundationary horsemanship skills. A good foundation in horsemanship is just as important as a good foundation for a house. If you build a house on an unstable foundation it is only a matter of time before it all crumbles.
Be patient, enjoy yourself, the horse and the process. After all, that is what we all ultimately want anyway - to enjoy life, be happy and have horses as our recreation, a source of fun, pleasure and joy.
So enjoy the journey. The feeling of true connection and having a great and long lasting relationship with your horse is the best part of the whole experience with horses. Care just as much about “how your horse feels” as you do about achieving your goals and you will have a much safer, more fun and more rewarding experience.
So “Go slow, to Hurry up” and enjoy the ride.
Naturally a teacher, Mel Fleming has a clear concise and encouraging style of teaching and her passion for horsemanship is clearly demonstrated in her training. Mel has a diverse range of skills with many years of experience in starting horses under saddle, solving behaviour problems with difficult horses, developing competition and performance horses, equine postural training and rehabilitating horses that are broken in body and spirit.
Mel uses the principles of Aikido and Feldenkrais - using energy and alignment rather that physical force – and when combined with two way communication, the result is harmony with horses. This leads to correct biomechanics, where movement is graced with effortlessness and ease. Mel facilitates both horses and humans to reach their highest potential.
Clinics and courses varying in length from days to weeks are held by Mel around Australia and at ‘Alchemy Place’ “Alchemy Place” is a scenic 100 acre property situated in a beautiful valley at the base of the Moonbi range near Tamworth NSW which is set up as a horsemanship facility for developing horses and teaching people. It offers the ultimate escape and perfect surroundings to learn and experience being one with your horse.
For clinic schedule please visit www.melfleming.com.au Call Mel Fleming on 0428 385 745 or email mel@melfleming.com.au
•
Horses have three different types of jointsfibrous joints, cartilaginous joints and synovial joints. Often joint issues are seen as an issue for older horses but our focus should be on supporting joint health throughout a horse’s whole life...
The first type of joint is the FIBROUS JOINTS, which are the immobile joints found between the bones in your horse’s skull and between the shafts of some long bones. They do not move and are therefore are less likely to cause issues.
Flax Seed Oil provides the richest (almost 60%) natural source of Omega 3, an essential fatty acid (EFA) which is not generally present in equine foods.
Like all animals, horses cannot manufacture this essential fatty acid which is so important for their overall health.
Worried about rancidity and toxicity? Use Flax for a safer option!
order online www.flaxseedaustralia.co or call 1800 255 288.
order online www.flaxseedaustralia.co or call 1800 255 288.
Flax Seed Oil provides the richest (almost 60%) natural source of Omega 3, an essential fatty acid (EFA) which is not generally present in equine foods. Like all animals, horses cannot manufacture this essential fatty acid which is so important for their overall health. order online flaxseedaustralia.com.au or call 1800 255 288
, 5ltr and 20ltr.
available in 1ltr, 5ltr and 20ltr.
The second type is a CARTILAGINOUS JOINT. An example of cartilaginous is in a horse’s spine, pelvis and growth plates. They also have limited movement.
The third is the SYNOVIAL JOINTS. Synovial joints make up the majority of joints in a horse’s leg. There are eighteen synovial joints in your horse’s body and six different kinds of synovial joints. They have the most movement and are more susceptible to suffer disease and injury.
But a joint is more than simply the union of two or more bones; the joint is actually also considered an organ(5)!
The synovial joint has a space where the synovial fluid lies. The synovial fluid bathes the joints and tendons, lubricates the joints, absorbs impact and is like a ‘joint oil’. It also provides growth factors, provides oxygen and nutrition for the joint. And don’t forget the synovial membrane! It is a lining along the inner surface of the capsule.
There are 205 bones in the horse’s skeleton. Twenty of these bones are in each foreleg and 20 in each hind limb (4). These are connected via tendons, ligaments, and cartilage. Joints can become damaged through abnormal forces acting on normal cartilage or normal forces acting on abnormal cartilage (5).
NATURAL, COLD PRESSED AND NO ADDED INGREDIENT SJoint health should be a consideration for all horse owners - for performance horses, general riding horses, young growing horses and our ‘oldies’. Their joints make up a large part of their general wellbeing and quality of life.
So how can you ensure that every joint has the nutrition it needs to function optimally??
Feeding and care for joints is vital for horses. It is essential that the base diet contains the right trace minerals, vitamins and fatty acids. Proper nutrition, from gestation and beyond, will ensure joints remain healthy for as long as possible.
Keeping your horse at an average ideal weight means there’s less impact and demand on joints. If a horse is carrying extra weight, there will be increased stress on the joints.
Most people feeding joint supplements are used to seeing and using artificial looking white powders. That’s why McDowells created EquiFlex. It’s the best of herbal medicine and the best science available, combined in to one powerful formulation.
Equiflex is a high potency joint formula. It is a combination of modern connective tissue supplements such as MSM and glucosamine with the added benefits of traditional herbal medicine. EquiFlex provides nourishment to joints, tendons, ligaments and cartilage. This product is natural and has a focus on the highest quality, most effective ingredients we could source.
MSM (Methylsulfonylmethane) has a lot of supportive research to back up claims that it reduces joint pain, and acts as an anti-inflammatory. MSM is a rich source of organic sulphur that aids in reduced muscle damage, reducing pain & stiffness, boosting immunity. It is vital for soft tissue growth, and is required in the synthesis of the bones to connective tissue.
Glucosamine is used by the body to make other chemicals that build tendons, ligaments, cartilage, and the fluid that surrounds joints. Its production of GAG’s (glucosaminoglycans) in synovial fluid enhances lubrication.
Equihemp contains both omega-3 and omega-6 fatty acids with a 1:3 ratio. Fatty acids are essential for the normal functioning of a cell.
Turmeric is able to reduce inflammation and the associated pain substantially when added to your horse’s diet alongside pepper.
Rosehips are one of the very best sources of natural Iron and Vitamin C. They also contain biotin for optimum hoof health.
Yarrow counters tissue swelling and inflammation and encourages bone marrow health.
Meadowsweet has been traditional used to reduce acids in the body including around the joints.
References
(1) Equine Joints
(2) Plant Bioactives and Extracts as Feed Additives in Horse Nutrition
(3) Feeding Horses for Joint Health
(4) Synovial Joints and How They Work - The Horse
(5) 5. McIlwraith, C.W. Osteoarthritis (degenerative joint disease): An update. Proceedings of the 11th International Congress of the World Equine Veterinary Association, Guarujá-SP, Brazil. 2009.
I was first introduced to the concept of Herbal Lore when I was very young. I think one of the earliest influences I can remember was from my grandparents, who were very traditional Bathurst farmers of the well known Cox family.
My grandfather had the “people’s home library” which was a compendium of all kinds of home cures.
Herbal Medicine is, at its core, studying nature and the humanities. It’s about observing our diet, our environment and how we respond. Keeping a balance is difficult in the modern era as we are no longer interacting with our environment in the same way as we may have done even as little as a 100 years ago.
As a Dorothy Hall graduate working along side the well known Robert McDowell for many years and furthering my education with Dennis Stewart, I have developed my own unique application of herbal remedies.
Working primarily with animals (Horses and Dogs) has been the most rewarding.
Having seen herbs work so well in so many cases has proven to me time and again the under-utilised power of herbal medicine. It is heartening to see now Vets, and some Medical Doctors seeing the traditional application of herbs as useful.
My comprehensive service includes free animal consultations 24/7 via my web site, and face to face consultation at 62 Corporation Avenue, Bathurst NSW 2795.
CLINIC: (02) 6331 3937
INTERNATIONAL: +61 2 6331 3937
ADDRESS: 62 Corporation Avenue Bathurst NSW
EMAIL: info@mcdowellsherbal.com WEB: www.mcdowellsherbal.com
As an equine veterinarian of 28 years, and a lover of all horses, but especially Australian stock horses, I write this story with mixed emotions – ranging from sadness, to grief, to hope and pride. This pride emanates from having the privilege of having been able to get to know two wonderful humans – fellow ASH enthusiasts Claire and Courtney Wright – from East Coraki, NSW. I have been lucky enough to have done vet work for Claire since 2010, and Courtney arrived on the scene a few years later.
They have always been the clients that equine veterinarians dream of – respectful, committed, eager to learn more, good sense of humour, handy operators, pay their bills, well-mannered and willing to offer a beer at the end of a big day!
They have always worked extremely hard to do the best for their horses –working long hours and putting every cent into their passion – their horses. I’ve seen them be on organising committees, donate stallion services, compete at many disciplines, turn up to working bees and never shirk a task asked of them.
Orphaned only a few months prior, little Tradie was then subject to enduring the tragic Northern Rivers floods. Surviving almost all his herd members and saved only through being housed in the back of a truck for 6 days with his little mate Larry whilst the dangerous waters subsided.
When I witnessed the incredible tragedy of the Northern Rivers Floods develop in early March 2022, I took special note of Facebook Update posts by Claire, and soon realised that these two were enduring pain and suffering of the hardest type – losing 19 of their 22 horses to the flood. It was only today when I questioned Claire on the details of the flood, that it really hit home to me how traumatic this 1 in 500 year flood has truly been to so many of the folk of the Northern Rivers.
I asked Claire to describe the events leading up to the flood, and she bravely described it, “Well, given that we usually have 2 days between Lismore flooding, and it getting to us we weren’t too concerned. I’d packed up my paperwork, cameras (Claire is a regular photographer at equine events, along with competing) and other valuables up as high as I could and packed an overnight bag with a few clothes and essentialsjust in case.
Not half an hour after finishing that, the water started coming inside our home -built 1.5m above the 1974 flood level. For another 3 hours we shuffled about moving belongings up higher. At 1am, we were up to our bellies in water and decided to wait out the night in our hay loft. Thankfully, our lights stayed on, and we were able to keep an eye on the water level. Bit by bit, it continued to rise. Without phone service or internet, it was difficult to access information on river height, peak times, tides etc.
We were essentially blind and felt nothing but despair. We called the SES and also 000 requesting evacuation, but no one came. We heard helicopters flying over but no one stopped. We waited all night, listening to our horses and poddy calves crying out until daylight when we went out to shift them. It was torture knowing that in the dark, and in the water, we couldn’t do anything to help them. They were all still there at 6am, even the foals. We let them all out of their yards to prevent them being pinned and trapped against the fences by the now fast flowing flood waters. We then filled hay nets for them and managed to get Larry and Tradie onto the truck.
By 9.30, we were evacuated by boats belonging to neighbours. There were half a dozen horses still here when we left. The others were already being washed away or swimming in the flood waters. We saw one of our foals deceased on the way to higher ground. Mum organised a lift back home in the afternoon to feed and water anyone still here. There was only two still swimming and the two boys on the truck.
We then got a boat to Broadwater, then met with friends and taken to their place. By the time we got home via boat 2 days later, the boys on the truck were the only ones here. We found yearling filly Fiddle almost a km from home and added her to the daily visits. We hitched rides in boated, kayaks and jet skis out every day to feed and treat them all. We had vets arrive in boats and helicopters to help treat the horses.
One day, we arrived to find that Fiddle had been put to sleep – as she was spotted to be down and in the mud by a vet in a passing chopper, and on investigation, found to be in toxic shock, requiring euthanasia. It was devastating to find her that way, but the whole scene was just crazy and communication channels were far from ideal in any sense.
Friends Matt and Jemma Green drove up from Tamworth with their float and we drove through water to get home and finally get the two remaining horses – Tradie (a 5 month old orphan ASH colt) and Larry (a miniature pony we rescued) to your stables at EVDS in Grafton.
Upon returning home, most of what we had put up high had toppled into the water. We managed to save a few bits and pieces. I remember the day we loaded the rubbish pile by hand, onto tip trucks. I broke down in tears throwing away my wedding dress.
It was later returned to me, washed by Colleen McQueen, along with a horsehair bracelet from my dearly departed mare Hope. The realisation set in that there were other sentimental items lost that I hadn’t even thought of yet.”
As I write this, I can’t even start to imagine the terror, fear, and sadness these two young women went through that night and ever since! And the effort they went to trying to save Tradie and Larry. In the end as the flood waters became too shallow for boats and jet skis, they resorted to kayaking 6-8 kms back and forth each day to feed and water their two remaining horses. These two young horses were in the back of the truck on the flood mound, up to Tradie’s belly (which equates to Larry’s neck!!!) in flood waters at the peak of the flood, then survived 6 days in that truck as the flood mud outside the truck was a foot deep, and so getting off the truck was not an option until they could be transported away. The horse box stable, by the end, and smelt badly of ammonia fumes, so Tradie ended up with pleuropneumonia when he arrived at EVDS, but he is doing fine now, after 2 weeks of intense treatment.
Kayaking to and from the property Courtney with her sick filly FiddleI had also asked Claire how long she has been in love with the ASH breed and she
outside stallions to compliment the individual mare and result in the best possible progeny.
We purchased Kerranna Aritjuda (aka Juda - a very well-bred and mannered 2004 stallion – with 40 registered progeny, and carrying the lines of Rivoli Ray, Scrumlo Victory, Abbey, Docs Freckles Oak, Star Black Minstril, Chan and Glenrock Glenrego FS) in 2018 and bred quite a few foals by him. The oldest of ours has just been started under saddle and showing great promise.
We also donated services to various fundraising events. We have always taken our youngsters out on our local show run and began attending the ASH national show. We have dabbled in a bit of dressage, team penning, challenges but focus predominantly on polocrosse.
As the discussion with Claire continued, I asked about the first block of land that these two had bought in 2021, and what their plans had been prior to the flood. Claire replied, “We bought our new property at Edenville (just outside Kyogle) with the intention of having the capacity to expand, give us a flood free option with the bonus of some hills to increase the fitness of our polocrosse horses. The mortgage is a standard 30 year; however, we had hoped to get it paid out a little sooner than that. Not off to a great start, having had our repayments stopped for the duration of this natural disaster and until we can get back to work.
Initially, we weren’t in a huge hurry to get it established but now that we’re essentially homeless, the need has increased to get the place set up enough to live there and have safe paddocks for our remaining horses as well as those kindly offered to us for a breeding season.
Long term, we are hoping to install a round yard, arena, stable block as well as a vet crush, dummy for semen collection, safe foaling yards etc. We would like to continue to improve the quality of our stock, as well as our horsemanship, knowledge and experience.
Courtney has previously played for NSW at Barastock and was intending on trying out for the 2024 nationals for polo-x but is now without a horse.
The block we bought is a blank canvas. 4 paddocks of barbed wire, only 1 with a dam for watering stock. No power, no town water. We had intended to set it up as environmentally friendly as possible, with off grid solar power.
Our priority is to clean up our flood effected property and have somewhere to live again. Then commencing the construction of the new place. Our concerns being firstly - weather conditions allowing for improvements to be made. Then, time, money, and resources. Trying to get back to normality.
We have received so much support. From friends and strangers alike. It’s been so humbling to receive offers of funding, clothing, equipment, temporary accommodation, horses, feed the list goes on and on. It’s been a real ‘pinch me’ experience, just trying to wrap our heads around all the offers and gestures we have received.
We look at each other and say “remind me of this when the time comes that we can help someone else”
As I finish this article, I feel a great sense of HOPE for the future of the ASH breed, and society in general. When there is the calibre of courage, resilience, humility, honesty, willingness, and toughness amongst the next generation, we “oldies” will be able to sit back and enjoy watching the cream rise to the top. These two young women are cream!
How good would it be if some of the 30,000 plus members of the ASHS could help to “get around” Claire and Courtney. To give them the leg up, that any one of us who just lost 19 of their 22 horses in a Natural Disaster, would need, to not lose a sense of a compelling future. My partner Carolyn and I have already gifted the best filly we bred last season, to Claire and Courtney, to be able to grow up with Tradie, and hopefully become a competition mare and then future broodmare for them.
I know from the bottom of my heart that these two are future leaders in the ASH breed scene, with their natural leadership style – unassuming, non-judgemental, welcoming, hardworking, leading by example, having a crack!
I had already lectured these two, when they arrived on the Monday night March 7, to see to the safe settling in of Tradie and Larry at the EVDS stable, on how the Universe sometimes works in mysterious ways, especially if you have been a major contributor to the “Greater Good” in the world.
Contributing through helping to serve others, especially those in need. Claire and Courtney have always done their best to help others, so I
advised them that it now their time to graciously accept offers to help get them, instead of stubbornly saying “there are others more deserving, we don’t need help”, as they did when they turned up, wearing the only footwear they had left – a pair of thongs for Courtney. Seeing them with their size 8 feet, getting around cleaning stables in my size 12 boots gave us all a laugh!
Today, a month later, I asked Claire, “if you were to win Lotto tomorrow, how would you spend it to get your new block of land able to accommodate the rebuilding of the Ironrose Stock Horse Stud – so you and Courtney would be able to live on a Flood Free property? “
I had to chase Claire hard for this list, but it went like this,
• Steel pickets
• Plain wire / electric tape
• Insulators
• Water tank/s
• Water troughs
• Poly pipe to be dug in to service water troughs
• Solar electric fence energiser
• Yard panels
• Use of some Machinery to replace old gates, spray weeds, slash, trim trees back etc
• Agronomist help to replace the setaria grass (which causes Big Head, lameness and fractures in horses) with more horse friendly pastures.
• Earth moving contractors to get a driveway sorted, then do our slab and shed
• To get some sun/rain shelters and stables for the horses.
• Dream would be to live “off the grid” power wise and be a environmentally friendly horse stud, using pasture rotation, regenerative pasture management etc.
Imagine if every one of the 30,000 ASHS members were to give $2030 each to Claire and Courtney, to help them get a leg up back onto their horse called “Life”?
That’s a lotto win in my books!
Food for thought. Pay it Forward???
Dr Oliver Liyou is an equine veterinarian, servicing the North Coast of NSW. He also lectures throughout Australia and internationally on equine dentistry and conducts training workshops in equine dentistry for veterinarians at his business EVDS.
Equine Veterinary and Dental Services
160 Old Lilypool Rd South Grafton NSW 2460
Phone: (02) 6642 4700 Mobile: 0428 515 650 www.evds.net.au
When you first see one of these infections, you may be left scratching your head. I know I was when I first encountered one so I went in search of answers of course.
Fig 1: “V” shape Fungal infection of the outer wall in a Horse which originated at the Coronet Band.
Typically mistaken for an Abscess exit hole or assumed that the horse has somehow damaged or knocked his wall to create either a ridge or a hollow.
I’m not sure anyone has all the answers as yet although I feel I’ve seen enough cases and helped owners to stop them in their tracks with topical applications to weigh in on this subject.
Usually during a wet weather event, the Periople gets waterlogged and swells. If the Periople swells enough “pockets” are created which then pop open and now do not have the soft cover of the Periople over the wall at the Coronet Band (where the hoof wall meets the skin).
Of course, not every swollen periople or “popped” periople is going to harbour a fungal infection but given the wet conditions this year, particularly on the east coast of Australia with flooded paddocks and water lingering for so long in the paddocks, this is one hoof issue to be aware of and to watch out for.
Fig 2: Waterlogged Periople swollen and pockets “popped” into a circular shape.
This is prime time for the Fungal spores to lodge themselves into the coronet band and begin to thrive.
Fig 3: Fungal infection taking hold at coronet after wet conditions have swollen the periople at the coronet.
Learn all about equine nutrition through a holistic viewpoint. This course covers the equine digestive system, body scoring, types of forages (hay and grasses), vitamins and minerals, water intake, herbs, supplementation and more!
20 hour course
10 hours online classroom time 10 hours performing nutrition case studies
Start anytime and work at your own pace. This course never expires so you will always have access to the material!
www.HolisticAnimalStudies.org/ animal-nutrition.html
These fungal infections are typically seen in Diagonal line and “V” shaped growths.
Let’s say you have a fungal infection that has managed to creep in to the coronet band at the centre of the hoof. As the hoof starts to grow down, the fungal infection is still active and spreading at the coronet bandeither in one direction or both.
So, the centre part of the hoof is growing, and as the fungus spreads in either direction or both, you will see the ridges of where this has travelled as the hoof grows through. As the initial part of the hoof infected will have more growth than the other parts of the hoof which the fungus has moved along to infect, the deviation left behind on the hoof wall will resemble a diagonal or “V” shaped line.
Fig 4: Infection has started at the coronet band at the back of the hoof. So as that part of the fungus grows down and the infection spreads laterally towards the centre of the hoof, you see the ridges (in this case) left behind by the disruption in growth of the hoof wall.
This infection still current at coronet band on this hoof.
Holistic Care and Seminars
Fig 5: Another diagonal line which has started off centre (medially) of the toe and has grown laterally. This horse was also advised to start topical treatment at the coronet at the point where the fungus line stops. This one has presented as a slight hollow rather than a ridge.
6
Fig 6: “V” Shaped infection which has spread both medially and laterally. As the centre of the hoof grows down where the initially infection started, the infection moves medially and laterally in this case creating further ridges. As those parts of the wall then grow through, this produces the “V” shape. The more pronounced the “V” shape, the slower moving the fungus spread at the coronet.
In my practice I have found that these ridges are not typically noticed until they are grown below the Periople or even further down the capsule, seemingly appearing overnight. The further they grow down the hoof, typically the worse they start to look (as above pic).
As the hoof is slightly weakened in these areas, the Stratum Externum (outer wall) starts to wear a little from the weakening of the hoof wall and usually starts to look like a hole which is why some may assume it has been an abscess exit point.
Recommended prevention and Management.
My current regime for my own horses and those that have been prone to coronet band fungal infections in the past is to keep the periople lubricated throughout the dry months with Hoof Balm from Bare Equine Australia.
Prior to wet periods, lube up with Hoof Balm. With water repelling properties in the base ingredients, it may help prevent the periople becoming over saturated in the wetter times.
So, what next?
As the infection grows further down the hoof, the infection lines may split.
Fig 7: You can see this “V” infection has grown down, the hoof is starting to split open. This doesn’t seem to bother the horse at all but at when these ridges or hollows start to open up as they grow down the hoof wall, it is advisable to keep the area clean and prevent further debris entering the site so to reduce the opportunity for further infection.
To prevent further damage to the hoof further and allowing pathogens to penetrate, we recommend the following:
Scrub affected site with hoof brush or similar. Cleanse with Hoof Spray from Bare Equine Australia. This will ensure all debris and pathogens are
blasted from the site. Scrub with your hoof pick and repeat. Once the site is clean and dried off, you can apply Beeswax PURE or Beeswax BLUE Balls ™. These are specifically formulated to keep hoof cracks clear of debris and also contain ingredients targeted to reduce the spread of pathogens. Australia’s favourite hoof care range available at www.bareequine.com.au
I have not seen one yet in close to 2 decades of Hoof Care work that has penetrated deeper than the Stratum Medium (unpigmented hoof wall) when managed. As a hoof care professional who loves “doing crack”, I just can’t wait until these cracks grow through. It’s exciting to trim them out and investigate the hoof wall where the infection has been.
As always, if you are unsure of anything with your horses’ hooves, seek professional advice from a qualified Hoof Care practitioner or your veterinarian.
BIO – Julie Wright has worked as a professional Hoof Care provider since 2004 after working as an Equine Therapist for several years. Turning to “bending over for a living” after realising there were so many hoof issues that needed addressing with her clients’ horses.
She has a passion for rehabbing hooves and educating owners to train their eyes to recognise pathology before it becomes a big issue for the horse. “Doing Crack” is her thing.
Bare Equine Hoof Care products were released in 2020 after years of formulating and testing the products “in the real world”. They are now proudly “Australia’s favourite Hoof Care range” and of course staffed by Equine Hoof Care professionals to help advise their customers on their recommended approach for specific hoof issues.
Julie Wright – Owner/Manager BARE EQUINE AUSTRALIA Dip. EPT (Equine Podiotherapy) | Certified EMT (Equine Myofunctional Therapist) www.bareequine.com.au
www.bareequine.com.au
If you are expecting to read about a young man taking the well worn path from child prodigy to international super stardom to top trainer, you’re about to get a rude shock. This isn’t your average horseman’s story.
Currently residing on the Sunshine Coast in Queensland, Joe Gardiner and his business ‘Gardiner Equestrian’ are quickly gaining an audience and reputation for a gentle, yet affective approach to horses.
The career of this international trainer has been wide and varied. From his humble beginnings at the Australian Outback Spectacular, to performing complex and dangerous trick riding on the biggest international touring stages. Joe’s equestrian journey started with a hint of curiosity and adventurous stint on a Canadian ranch.
The design creates Power Steering and Brakes for strong horses. Very kind in the mouth and relaxes them. Lowers the horse’s head, creating a smooth, flowing, winning action. Can stop climbing, head tossing, pulling, leaning and time faults, making the difference of winning. Award-Winning Bit. Horses, trainers, coaches, and riders love them, stating: “It’s a Game Changer”, “Brilliant”, “Amazing Transformation”.
Check out our EP design for tongue over the bit, breathing & displacement issues.
Growing up in the leafy Brisbane suburb of Ashgrove, a wide eyed school leaver was looking to launch into adulthood. An after school gap year lead him to a summer season in the Canadian Rocky Mountains working as a trail guide. After throwing himself into the deep end, Joe spent the summer as a cattle driving cowboy, only to return back to south-east Queensland, where he started riding for the Australian Outback Spectacular.
There, he learnt to trick and roman ride before landing a spot on the touring juggernaut Cavalia. Originating from many of the same creators as Cirque de Soleil, Cavalia took Joe for a four year tour across China, USA and Canada. Consistently honing his skills and horsemanship, he
continued his equine performance career to France before deciding his time traveling was up. He’d run off and joined the circus but now he was ready for another challenge back on home soil; teaching.
Back down under, Gardiner Equestrian was born. A safe, enjoyable and informative training service giving lessons in liberty, dressage and trick riding - if you’re brave enough. From his years traveling and working in the equine industry around the world, Joe’s approach to training is a culmination of
global methods and techniques; tried, tested, reformed and reduced to the most valuable and useful ways to train and understand horses.
‘Come from a place of understanding’ is one core belief that he believes always holds true. Liberty is the most important discipline, as it first moulds the horses mind, then the ridden work helps the body. Training horses is a journey that must be done in a step by step fashion.
From the horses perspective, Joe’s approach is simple; all they require is a sense of protection. The old school methods of dominating horses don’t give them their basic survival need to feel safe. Generally, the horse looks to the herd for safety, but the real magic starts once we can get them looking to us for safety. For an animal which holds a strong flight instinct, Joe’s core belief is that once we make the horse feel safe, they will give themselves to us completely. Once they feel safe they begin to switch off that flight instinct to pressure and becoming willing to ‘try’. Developing the horses ‘ability to try’ is a huge part of the training process. Even if the horse makes mistakes, as long as they try, what more could we ask of them?
The secondary core teaching is that ‘horses make associations’. Whether it be towards us on the ground, under saddle, the external environment, or the work itself. Horses are creatures of habit and whatever they practice they will learn. Every interaction with a horse, no matter how big or small, can be either positive or negative. If we want to teach our horses to relax and feel safe around us, we must first become beacons of safety and relaxation. A saying which can be repeatedly heard in his clinics and lessons is that “Quiet work makes quiet horses.”
Under saddle, the teaching comes right back to basics. Understanding the biomechanics of the horse is the first crucial step to developing them in a way that is natural and long lasting. Stretching is the key foundation to keeping the horses good in their bodies and free of tension. Consider yourself a chiropractor on a horse. The right work will keep your horse injury free and functional for their entire lives. The end goal is that our horses become fully adjustable under saddle. If we have them trained right and functioning correctly, your horse will be able to do anything you ask without hesitation. The best way to describe the approach to the ridden work is that it is like ‘yoga for horses’.
Now he’s back on home soil, Gardiner Equestrian provides private lessons on the Sunshine Coast and travels far and wide giving two day clinics. The feedback is always positive and eye opening for participants. The horses walk away feeling better and more relaxed than when they started, and the owners have a sense of direction moving forward with their horses training and development.
To inquire about lessons or to organise your next clinic with Gardiner Equestrian, head to any of the socials and search ‘Gardiner Equestrian’. Gardiner Equestrian can also be contacted directly via email at gardinerequestrian@gmail.com
Park DC, 0C/CR/Ch, P- FEI, Salt Ash, NSW
Wendy Cotton 0419 873 321 – www.alexanderparkdressageclub.org 1-2 Ora na Equestrian Club, OC/CR, Pr-GP/Ch, Dubbo NSW – www.oranaequestrianclub.com 1-2 Toowoomba Dressage Inc, State Champ/ships Inc. AAOR & Pony Spectacular, Sh/gr, Toowoomba, Qld - Ph: EQ 07 3891 6611 2-6 Vaulting Nationals & CVI2*. SIEC, Horsley Park, NSW - Ph: 02 8883 6900 - www.fei.org/vaulting 8-9 Armidale Riding Club, OC/CU, Pr-GP/Ch, Armidale, NSW – Ph: Skye Berry 0412 871 426 – www.armidaleridingclub.com/wixsite.com 8-9 Jindera Equestrian Club, OC, Pr-GP/Ch, Albury, NSW – Ph: Kerrie Wise 0407 207 392 8-9 TVEG Power of Pink , Competitive/ Participant & Club, Sh/gr, Murwillumbah, NSW – E: secretary@tveg.org.au – www.tveg.org.au
– www.qrha.org.au 15-16 VRH A, Spring Slide, WPNEC, Werribee, Vic – Ph: 03 9741 7672 – www.vrha.com.au 2 VPS S tart of Season Show, Sugar Equestrian Centre, Kilmore, Vic – Ph: Craig Tanian 0408 141 145 – www.vicpintosociety.net 7-8 ASHS, 2022 Moss Vale Branch, NSW State Youth Show – Ph: Lou Walsh 0411 786 012 - www.ashs.com.au 8-9 ASH NSW State Management & Madden’s Stable Bedding Championships, Sugarloaf Eq/Ctre, Cobbitty, NSW – Ph: 02 6545 1122 8-9 Vic torian Pinto Society State Championships, WPNEC, Werribee, Vic – Ph: Craig Tanian 0408 141 145 – www.vicpintosociety.net 14-16 Double Diamond Arabian Showcase, K Ranch, Mt Hunter, NSW – Ph: 02 4654 5603 – www.ahsa.asn.au
15 The National Buckskin Society Inc, Spring Show, Sh/gr, Geelong, Vic – Ph: Jess Phetan 0408 495 374 – www.nbs.org.au 15-16 ASHS, 2022 County of Cumberland Branch Show, Hawkesbury Sh/gr, Clarendon, NSW – Ph: 02 6545 1122 22-23
YVA HAC, 2022 Arabian Extravaganza, WPNEC, Werribee, Vic – Ph: Lauren Jantzen 0409 977 467 22-23
ASHS, 20022 Central Victorian Show, Futurities & Maturities, Events Centre, Elmore, Vic – Ph: Joy Bird 0407 345 804 22-23 ASHS, 2022 Moss Vale Branch Show, Sugarloaf Eq/Ctr, Cobbitty, NSW - Ph: Lou Walsh 0411 786 012 - www.ashs.com.au
GVA HC, The Victorian Arabian Non Pro Show, Equestrian Centre, Tatura Park, Vic – Ph: 03 5832 9851 22-23 Top o f the Range Arabian Event, Hosted by Downs Arabian Club Inc. – Ph: 0406 242 310 – www.downsarabianclub.com
White Park, Scone, NSW
Maddy Brown 0490 915
– www.qld.equestrian.org.au– www.vic.equestrian.org.au 5-6 Gra fton Riding Club, OC/CU/CR, Pr-GP/Ch, Grafton, NSW – Ph: Jill McKeown 0418 677 238 – www.graftonridingclub.org 6 Young Dressage Club, OC/CR, Pr-GP, Bendick Murrel, Ph: Megan Bryant 0429 831 427 – www.youngdressage.com 6 Caboolture Dressage Group Inc, Participant & Club, Prep to PARA, QSEC, Caboolture, Qld – www.caboolturedressage.org.au 12-13 DNSW, OC, Pr-GP/YH, Clarendon, NSW – Ph: Vireena Peacock 0409 243 273 – www.dressagensw.com.au 13 REA Wagga Wagga Dressage, OC/CU/CR, Pr-GP, Wagga Wagga, NSW – Ph: Maryann Schiller 0428 632 494 – www.reaclubs.com.au 19-20 Monaro Equestrian Club, OC/CU/Ch, Pr-M, Cooma, NSW – Ph: Sue Wallace 0418 649 869
19-20 Ber rima Ev60-CCN2-5*-S 19-20 Melbourne Show Jump Club, WPNEC, Werribee, Vic – Ph: 03 9741 7672 – www.wpnec.com.au
Coast Showjumping & Equestrian Club, Ph: 0400 104 095
ry Ev60, EvA80, EvA95 (tbc) Mel F leming Horsemanship – Ph: Mel 0428 385 745 – www.melfleming.com.au 19-21 “Ba nyandah” Howlong, NSW, Connecting and Fundamental Feel in Ground Skills. 22-23 “Banyandah” Howlong, NSW, Riding with Synchronicity Introduction Course. 26-30 “Banyandah” Howlong, NSW, Intermediate Course.
www.australianpolo.com.au - Ph: 0459 272 277 | www.queenslandpolo.com.au - Ph: 0407 677 423 www.nswpolo.com.au - Ph: 0409 764 607 | www.vicpolo.com.au - e: secretary@vicpolo.com.au
NSW: 5-6 & 12-13 Winten Cup, Forbes Polo Challenge &19-20 Muddy Flats 3 aside Garangula Challenge & 26-27 Millamolong Challenge. VIC: 28t h Oct-6th Nov Melbourne City Polo, WPNEC, Werribee, Vic – Ph: 03 9741 7672 – www.wpnec.com. 12-13 Eynesbury, 19-20 Melbourne City Polo Cup, 26-27 Flowerfield Cup 2022 @ Vallex Polo Club. www.nswpolocrosse.com.au – Ph: 0407 207 649 – www. polocrossevic.org.au – Ph: 0419 039 485 VIC: 12-13 & Polocrosse Victoria, WPNEC, Werribee, Vic – Ph: 0419 039
& AGM, Gatton, Qld – Ph: Chris 0407 856 786 – www.sqrha.com.au
RHA Cowboy Xmas, K Ranch, Mt Hunter, NSW – www.nswrha.com.au
2 National Arabian Stud Horse Show, WPNEC, Werribee, Vic – Ph: 03 9741 7672 – 0458 550 142 - www.wpnec.com.au
bian Breeders Cup – Equitana, Sh/gr, Melbourne, Vic – 0458 550 142
Equitana Minitana, Sh/gr, Melbourne, Vic – www.imhr.com.au 17-20 GVQ HWRC, Victorian “AAA” State Show, Goulburn Valley QHWRC, Tatura Park, Vic – Ph: Karli Roderick 0417 391 936 19-20 Miniature Horse Assoc of Australia (online event) – Ph: National Secretary Barb Voysey 0418 821 100 – www.mhaa.com.au 19-20 SQH A, “AA” Show, K Ranch Mt Hunter – Ph: 0437 703 353 – www.sqha.com.au 20 202 2 Annual Stock Horse Show,(tbc), Sh/gr, Kempsey, NSW – www.valleyequstrianclub.net 20 NSW S tate Riding Pony Championship Show, Hawkesbury Sh/gr, Richmond, NSW – Ph: 02 4577 5530 – www.rpsbs.com.au 25-27 202 2 National Pinto Championships, K Ranch, Mt Hunter, NSW – Ph: 0408 628 965 E: nswpinto@gmail.com – www.pinto.com.au
Pr-GP, Somersby, NSW – Ph: Karma Wilson – 0478 070 176 – www.ccdressage.org 4 Lee ton Dressage, OC, Pr-PSG, Leeton, NSW – Ph: Sarah Venamore – 0419 873 321 – www.reaclubs.com.au/leeton-dressage 4 NCEC, OC/CR, Pr-PSG, Canberra, ACT – Ph: Lisa Pluis – 0418 303 868 – www.nationalcapitalequestrianclub.com.au 4 New England Girls School, OC/CU/CR, P-Int 1, Armidale, NSW – Ph: Rachelle Hirst – 0488 183 103 – www.negs.nsw.edu.au
4 Sugarloaf Cobbitty EC, OC, Pr-G, SIEC, Horsley Park, NSW – Ph: Joanne Squires – 0427 114 195 – joanne.squires@bigpond.com 8-11 Vic torian Dressage Festival, OC, P-GP/YH, WPNEC, Werribee, Vic – Ph: 03 9741 7672 – www.wpnec.com.au 10-11 DNSW, OC, Pr-GP/YH, Clarendon – Ph: Vireena Peacock – 0409 243 273 – www.dressagensw.com.au
17-18
SHCV Southern Stars Royal Gala, WPNEC, Werribee, Vic – Ph: 02 4588 5005 – www.showhorsecouncilaust.com.au 19-20 SHCV Summer Classic, WPNEC, Werribee, Vic – Ph: 02 4588 5005 – www.showhorsecouncilaust.com.au www.qld.equestrian.org.au – www.vic.equestrian.org.au – www.nsw.equestrian.org.au – www.eventingnsw.equestrian.org.au 2-4 YVJC December Show, Wandin Park, Wandin, VIC – www.yarravalleyjumpclub.com.au 2-5 Wallaby Hill 3 DAY EVENT, Robertson, NSW – Ph: 02 4885 2406 – alex@theanimalfactory.com.au 3-4 Sydney S J Club,
NSW (02) 9879 6777
1 Bribbaree, 1 Culcairn, 2 Berrigan, 2 Griffith, 3 Morongla, 3 Walbundrie, 7-8 Kyogle, 7-8 Leeton, 8 Illabo, 8-9 Picton, 8 Trunkey Creek, 8-9 Taree, 9 Corowa, 10 Norfolk Island Royal, 14-15 Barham Koondrook, 14-15 Casino, 14-16 Cowra, 15-16 Camden Haven, 15 Cootamundra, 15 The Rock, 15-16 Robertson, 15 Tooraweenah, 15-16 Morisset Lake Macquarie, 20-22 Lismore, 22 Junee. 22-23 Comboyne, 23 Bungendore, 28-30 Albury, 28-29 Alstonville, 28-29 Gloucester, 29 Carcoar.
VIC (03) 5441 5555
1 Goroke, 1 Corryong, 1-2 St Arnaud, 2 Berrigan, 3 Kerang, 4-6 Elmore & Dist Machinery Field Days, 9 Warracknabeal, 7-8 Shepparton, 7-8 Donald, 7-8 Wangaratta, 8 Kaniva, 8 Sunbury, 8 Camperdown, 8 Boort, 9 Croydon, 9 Corowa, 13-15 Mildura, 13 Nhill, 13-16 Royal Geelong, 14-15 Wandin Silvan Field Days, 14-15 Benalla, 14-15 Barham Koondrook, 15 Dimboola, 15 Charlton, 15 Naracoorte, 15 Kyabram, 16 Rutherglen, 16 Lancefield, 16 Maldon, 16 Jeparit, 19 Numurkah, 21-23 Maffra, 21-22 Bendigo, 22 Myrtleford, 22-23 Euroa, 22-23 Cobram, 23 Ararat, 28-30 Sale, 28-29 Castlemaine, 29 Warrnambool, 29 Dookie, 31 Bushy Park, 31 Glengarry.
NSW (02) 9879 6777
4-5 Murwillumbah, 5 Frenchs Forest, 6 Minto, 11-12 Dungog, 11-13 Mullumbimby, 11-13 Queanbeyan, 12 Neville, 18-19 Bulahdelah, 18-19 Bangalow, 25-26 Dorrigo.
VIC (03) 5441 5555
1- Heathcote, 1 Balnarring, 4-6 Colac, 5 Coleraine, 5 Bairnsdale, 5-6 Echuca Moama, 5 Port Fairy, 5-6 Whittlesea, 11-13 Ballarat, 11-13 Omeo, 12 Casterton, 12-13 Bendigo, 12 Alexandra, 12-13 Dandenong, 12 Koroit, 18-19 Kyneton, 19 Clunes, 19 Edenhope, 19-20 Lilydale, 19 Noorat, 19 Mansfield, 19 Yarram, 20 Beaufort, 25-26 Yea, 26-27 All Breeds Society Annual Show, 26 Yulecart, 26 Daylesford.
VIC (03) 5441 5555
December 10 & 11 Kingston Agricultural Society Inc.
Salmonellosis is caused by a bacteria that can affect foals, adult horses and humans too. The bacteria spread easily by horse-to-horse contact and by shared tools, water buckets, and contaminated boots and clothing on which bacteria can ‘hitch a ride’ to the next horse.
It affects primarily the gut and can cause debilitating, even deadly–diarrhoea. Symptoms in adult horses include diarrhoea, fever and lethargy in mature horses, however the signs in foals are more serious. Some horses do not show clinical signs, but they can carry the bacteria, and when stressed, they can shed it or become ill themselves. There are more than 2200 distinct variations (‘serovars’) of salmonellae and all are considered possible pathogens that can cause disease in horses.
In Australia, Salmonella typhimurium is the most common cause of salmonellosis. It produces intestinal disease (such as diarrhoea) in horses, and other animals including dogs, cats, birds, humans and many other species. Cases are usually sporadic with an affected horse here or there, but may become an epidemic/outbreak depending on the severity or harmfulness of the organism, the level of exposure (how many bacteria gain entry to the body) and individual horse factors. Recently there have been outbreaks of Salmonella in horses in Australia.
Even with the best of care, disease, viruses and accidents can affect our horses. There are many equine diseases, and salmonella is one that is extremely contagious and requires good biosecurity to protect horses - and us!
Signs of illness in adult horses include fever; colic; shock; severe watery, foul-smelling diarrhoea that might contain blood; weakness and loss of appetite. Although it is one of the most common infectious causes of diarrhoea in adult horses, importantly, Salmonella can develop without diarrhoea. Complications of salmonellosis include laminitis, bacteremia (viable bacteria within the bloodstream) and septicemia (blood poisoning), renal (kidney) failure, blood clots, hepatitis (inflammation of the liver) and pneumonia.
In foals especially, Salmonella can get into the blood stream and travel to many organs, including the liver, lungs and joints. Affected animals show dullness, depression, fever, lameness and joint swelling. Clinical signs include hemorrhagic diarrhoea, pneumonia, meningitis (inflammation of the membranes around the spinal cord and brain) and septic arthritis.
Diagnosis and treatment is based on clinical signs, very low white blood cell counts (neutropaenia) and faecal culture to grow the organism. A minimum of three, and usually five, cultures is necessary because Salmonella is only intermittently shed in the manure and in small numbers.
Treatment is principally supportive and needs to be aggressive – i.e., prompt and ongoing intensive replacement of fluid and electrolyte losses and intestinal protectants. Fluid replacement may require 80 litres per day and the diarrhoea and metabolic derangements can take 7 – 10 days to resolve.
Antibiotic treatment is often of little use and your veterinarian will determine on a case-by-case basis if they are indicated. The choice of antibiotic is difficult and antibiotic sensitivity and resistance patterns can change during the disease process. Hence your veterinarian may request culture and antibiotic sensitivity testing of multiple manure samples.
The prognosis for your horse varies with the case. Many horses may have Salmonella and never show clinical signs. Others can become sick and require intensive therapy – and some die suddenly despite intensive therapy.
The most common sources of infection are contaminated feed and water and carrier birds, rodents, horses and other farm animal species that excrete the bacteria. Salmonella is usually transmitted by the ‘faecal-oral’ route (i.e., from manure contamination of the mouth) although infection may also occur through the mucous membranes of the eyes and the nose via aerosol droplets.
Horses may pick up Salmonella from the pasture, feed or water sources if these have been contaminated by the faeces of infected animals (including birds and other horses). They may also become infected by direct contact with infected horses or surfaces that have been contaminated with manure from an infected individual. Mice, chickens, pigeons, and wildlife can be sources of Salmonella.
Some horses are carriers – i.e., they don’t show any signs of infection or illness, but can actively spread the bacteria. Because they generally shed the bacteria intermittently in their manure and often without any signs of illness, Salmonella carriers are particularly difficult to identify.
If stressed, carriers may develop clinical signs. Stress leads to a rapid multiplication of the bacteria and can be caused by transportation, intestinal microflora upset, other illnesses, overcrowding, abrupt change in diet, intensive physical activity, antimicrobial treatment, surgery and gastrointestinal tract disorders. Shedding may persist for days to weeks and although some horses are consistently positive on manure culture, a negative culture does not rule out intermittent or low-level shedding of Salmonella.
DR JENNIFER STEWART’SIn most cases, the number of bacteria shed in the manure of convalescing horses is relatively small and doesn’t present a risk. Among horses that have recovered from salmonellosis, approximately 60% will have ceased shedding after 1 month and around 90% after 4 months. However, if the variant is especially virulent or is able to survive and proliferate in the environment, persistent faecal shedding of the bacteria could pose a risk to other animals or humans. Horses testing positive for Salmonella should remain isolated until they stop shedding based on multiple negative cultures. It is important to note that these horses may shed again if they are sufficiently stressed. Shedding decreases over time and many horses will stop shedding altogether.
The following measures are critical if an outbreak occurs:
• Isolate all sick animals. This may mean isolating an entire stable, paddock or property.
• Horses that have been exposed to sick animals should not have any contact with non-exposed animals.
• Involve your veterinarian and diagnose the cause of the disease as soon as possible.
• Limit movement of people and equipment.
• Restrict access to isolation areas.
• Use disposable overalls, gloves and foot guards.
• At every entrance and exit place foot baths with the appropriate disinfectant – water won’t do the job and not all disinfectants are effective against Salmonella. Your veterinarian will know which ones to use and for how long you need to stand in the footbath – a quick dip is not enough
• Spray all vehicles and tyres with disinfectants.
• Wash and sanitise hands regularly through the day.
• Dispose of bedding and manure so other horses aren’t exposed to it.
• Control access of wildlife, birds and rodents to feed, water and bedding.
• Check whether you need to report the disease to the government – this varies between states.
• Proper cleaning and disinfecting requires knowledge of the bacteria. Even the correct disinfectants will not be effective in destroying Salmonella unless the surfaces are cleaned first. The most important part of the disinfection process is the hard work of first cleaning all surfaces with a detergent, then rinsing before applying the disinfectant (Table 1). All organic material, dirt and debris must be removed by pressure washing or steam cleaning before disinfecting – taking care that the wash doesn’t spread and contaminate other areas or the environment.
1 Remove all buckets, feed tubs and bedding.
2 Sweep the walls and floor of the stall to remove all organic matter.
3 Use a hose with spray nozzle to wash all surfaces with detergentfor stubborn stains, keep the surface wet for 10–20 minutes, then scrub by hand.
4 Starting at the top, rinse with water. Corners and drains may require a second cleaning.
5 Remove as much water as possible so the disinfectant doesn’t become diluted.
6 Don protective clothing and starting at the top, apply the disinfectant as per the product instructions.
7 Do NOT rinse but allow to dry.
8 During an outbreak repeat the cleaning and disinfection.
9 Scrub all buckets, feedbins and equipment with detergent, rinse, dry and apply disinfectant and leave for 10 minutes.
10 Rinse thoroughly with water and allow to dry.
11 Rinse dirt, manure etc. from towels, clothing etc. then soak in disinfectant for 10 minutes before washing with laundry detergent.
Management of foals requires special care: Except for normal foal heat diarrhoea, any foal with diarrhoea should be considered infectious and contagious. No in-contact foals should be moved to other locations because there is a high chance they could be incubating the disease and be a source of infection for other parts of the property if they are moved. Although this may seem extreme, the expense of an all-out diarrhoea outbreak due to Salmonella far outweighs the inconvenience of separating sick foals. Isolation should be intensive, with protective clothing (gloves, gowns, and shoe coverings – or better dedicated footwear that does not leave the isolation area) worn before entering the isolation area. Dedicated grooming and mucking out tools and thermometers must be used – and all cleaned and disinfected after use. Manure should not be allowed to contaminate groundwater or be accessed by other horses and should never be spread onto paddocks.
PREVENTION = BIOSECURITY: Prevention of salmonellosis is difficult because the organism is present in the environment as well as in the manure of some healthy animals. The environment is at greatest risk for Salmonella contamination from a diarrhoeic horse because bacteria will
12 months on QI EASE both supplement & topical treatment QI GOLD SERUM. MY pony suffered from the itch and was constantly rubbing mane & tail out. Now no sign of any itch and a beautiful shiny healthy coat.
spread over a relatively large area - cracks in walls and stalls, on the surface of water buckets or automatic watering devices, and in bedding materials that may be spread by wind or careless foot traffic. Salmonellae can persist in the environment and soil can remain contaminated for over 300 days, and water for 9 months. Although it can be killed by desiccation (removal of water) and exposure to sunlight, Salmonella can survive in dried manure for up to 30 months. Freezing doesn’t kill the bacteria and it can survive over two years in infected ice cream!
To prevent the introduction of Salmonella, it is important to have a biosecurity plan. Some method of isolating new arrivals and sick horses is important. New horses should be isolated for approximately two-tothree weeks and monitored for diarrhoea or signs of respiratory disease. Salmonella is very infective, and control measures require strict attention to sanitation. Foot baths, protective clothing, isolation, and proper disposal of faeces are basic when caring for infected or shedding horses. Personal hygiene is important because human infections can occur from exposure to this organism.
Zoonoses are diseases that can be transmitted to humans from animals.. Salmonella can move between animals and humans. Thus, people can and do become infected with Salmonella from horses. Ingesting contaminated faeces causes Salmonella in people. Signs of Salmonella in humans vary from none to severe gastrointestinal disease and medical advice is essential. Practice good hygiene. Always wash your hands before eating and don’t touch objects with manure-contaminated hands.
Understanding disease transmission and effective management practices are both essential in preventing equine diseases. Your veterinarian is the best source of advice because successful disease prevention includes an effective vaccine and a rigid management protocol that carefully evaluates and isolates new arrivals, prevents stress and overcrowding, recognises clinical symptoms, and deals with disease quickly. Preventive hygiene and the use of effective disinfectants are essential to the management program.
A balanced diet is one of the best defenses a horse has against disease and for recovery and convalescence. Every nutrient is important and deficiencies or imbalances in essential amino acids, fatty acids, vitamins, minerals and fibre can compromise immune function.
Fortunately, the steps involved in control and prevention of Salmonella also are applicable to most other equine infectious diseases. The cost and work involved with isolation, disinfection and good management can more than pay for themselves in the long run of not having to deal with salmonellosis, rotavirus, and other diseases.
© Dr J H Stewart July 2022
All content provided in this editorial is for general use and information only and does not constitute advice or a veterinary opinion. It is not intended as specific medical advice or opinion and should not be relied on in place of consultation with your equine veterinarian.
CEO BVSc BSc PhD Dip BEP Equine Veterinarian and Consultant Nutritionist
Dr Jen Stewart has been an equine veterinarian for more than 40 years and an equine nutritionist for more than 10 years. Jen has been developing premium formulas for studs, trainers and feed companies in Australia and around the world and regularly consults to leading international studs and trainers in various countries.
Jen has spent a fair bit of time researching and being involved in nutritional management of developmental orthopaedic diseases, colic, tying-up, laminitis, performance problems, post-surgery and other conditions. And is currently the only practicing equine veterinarian and clinical nutritionist in Australia. Jen’s promise is to continue to BRING SCIENCE TO YOUR FEED BIN www.jenquine.com
The image of jockeys swinging their arms and continuously whipping horses is familiar to most of us. What is less known is the extensive use of whips in other horse disciplines. Go to any country show or horse event and you will observe that many riders have bits, whips and spurs. These are the three main ways humans inflict direct pain onto horses. I have written many other articles about the pain caused by bits, and I think spurs are self-explanatory, so in this article I am going to explore the use of whips further.
People who ride with whips say they only use it as a back-up to the leg aid or they just wave it around and do not actually hit the horse. I ask if you are not using it then why carry it? The reason people ride with them is because the horse DOES respond to a movement of the whip. So why is this? Unfortunately for several years I was apprenticed to various horse breakers/starters. I was privy to what they did with the horses when the owners were not present, and it was a whole different story to the beautiful picture that the owners saw when they visited. If the horse did anything wrong, whack with the whip, hard. If the horse did not move forward, whack, if the horse misbehaved, whack. Then when the owners came to see how their horse was progressing the horse behaved impeccably, only the slightest twitch of the whip and they would submit to the rider’s requests.
The reason the horse submits to the rider when the whip moves is because they have become programmed to expect the whack. After a while, all it takes is a small movement and the horse responds. This sounds like it works well, except for two huge problems. One, the horse is being abused during the training process. Two, for the rest of their life, every time someone rides with a whip they will expect to be hit, and every time the rider moves the whip they are regressing back to the time when they were whacked. This is no longer an equal partnership, for the horse has been firmly placed in the victim role. If the horse has not been severely hit with a whip in the past, just moving a whip will not engender a response, think about this.
Another problem with humans riding with whips is that they are human. Most humans are not Buddhas. Most of us are still struggling with emotional control, especially in difficult situations or where our egos are in involved. Anyone who has been involved with the show circuit for a while will have seen the competitor who leaves the ring a loser and starts whipping their horse when they get back to the stables for performing badly and losing. Or the rider with a low level of riding skill resorting to hitting the horse with the whip out of frustration because they will not respond. Unfortunately, these and many other situations occur where humans ‘lose it’ and the horse pays.
Also, when riding with a whip it delays the development of riding skills. Some horses have more whoa than go, this is their natural temperament. Learning how to motivate and ride this type of horse forward is a great riding skill and one that needs to be learnt to become an all-round horse person. Using a whip stops the development of this skill set. I recall teaching a group of students one day and one complained that her horse was lazy and would not do anything. I asked if I could ride her horse. I mounted and had no problems asking the horse to move forward at all, the issue was not with the horse but the rider. We tend to always blame the horse for whatever is happening, not look at ourselves. Then if it is the horses’ fault, we can justify using harsher and harsher methods of persuasion to get the horse to perform.
One situation where it may be appropriate to ride with a whip is if the rider has a disability and cannot use leg aids, so uses the whip as a leg. Even then, there are other methods for asking the horse to go forward, such as voice commands, which could be tried. So maybe it is time to throw those whips in the bin and learn some great new skills, good luck!
Suzy Maloney B. Eq. Sc. has a degree in Equine Science, has been instructing riding students for 15 years and runs her own business
Happy Horses Bitless. Suzy discovered bitless bridles 10 years ago and has now made the promotion of their use her passion. She teaches students exclusively in bitless bridles, gives bitless clinics, writes articles, gives talks on bitless riding and sells bitless bridles through her web page.
Suzy believes we can communicate with horses using gentleness, intuition and an open mind. Her lessons are a combination of classical riding, natural horsemanship and the understanding of equine behaviour.
Suzy Maloney B.Eq.Sc. HAPPY HORSES BITLESS
Phone: 0401 249 263 Email: suzy@happyhorsesbitless.com www.happyhorsesbitless.com Happy Horses
Bitless Bridles