

SCIENZE

Fabio Calvino
Rita Poletti
Il viaggio di Darwin
Science Reel di Marco Martinelli Metodo IBSE

Costruire il futuro insieme
Il Gruppo Editoriale ELi
offre proposte editoriali che coprono tutti i gradi e i rami scolastici, all’insegna della qualità, del rigore e dell’innovazione.
INTELLIGENZA
ARTIFICIALE
Percorsi didattici con attività pratiche che mirano ad approfondire i principali strumenti di IA generativa per favorirne un utilizzo critico e il tool VELIA a disposizione dei docenti per personalizzare l’attività didattica.
EQUILIBRI
Progetto di ricerca costante che mira a eliminare gli stereotipi di genere nei testi scolastici ponendo particolare attenzione alla scelta dei contenuti, a una valutazione iconografica ragionata e all’utilizzo di un linguaggio testuale inclusivo.
INCLUSIONE

Sviluppo di una cultura dell’inclusione attraverso contenuti accessibili e adeguati ai diversi stili di apprendimento.
ORIENTAMENTO
Approccio educativo e formativo volto a favorire la conoscenza di sé, delle proprie attitudini e delle proprie capacità, oltre a sviluppare le competenze non cognitive e trasversali necessarie per le scelte del futuro.
EDUCAZIONE
CIVICA secondo le NUOVE Linee guida
Aggiornamento e ampliamento dei nuclei tematici attorno ai quali si articolano le competenze e gli obiettivi di apprendimento: Costituzione, Sviluppo economico e sostenibilità, Cittadinanza digitale
STEM/STEAM, CLIL
Attivazione del pensiero scientifico e computazionale, approccio interdisciplinare e laboratoriale, sviluppo della competenza multilinguistica, attraverso attività STEM, STEAM e CLIL.
DIGITALE
Acquisizione delle competenze digitali e dell’alfabetizzazione informatica come aiuto all’inclusione sociale e alla cittadinanza attiva.
EDUCAZIONE ALLE RELAZIONI
Percorsi incentrati sullo sviluppo di competenze relazionali che arricchiscono la consapevolezza del vissuto personale in relazione con la realtà circostante.
Gruppo Editoriale
Gruppo Editoriale
ELi
ELi


Parla la scienza




LEZIONI IN
Gli apparati e i sistemi del corpo umano Il coordinamento corporeo Racconto geniale: Marie Skłodowska Dalle cellule staminali ai tessuti



Le principali ossa dello scheletro I muscoli del corpo umano


Actina e miosina in azione Come si muove il nostro corpo


Lezioni in Podcast Test interattivi



La disponibilità di cibo nel Nord e nel Sud del mondo

Piramidi alimentari a confronto



La struttura delle proteine I sali minerali



Organizziamo un eco pic-nic Lezioni in Podcast Test interattivi
unità
L’apparato digerente
Listening


digestione

fasi della deglutizione

batterio da Nobel

Processi chimici a tappe


Lezioni in Podcast


unità 4
2
CORPO UMANO
LA CIRCOLAZIONE DELLA MATERIA







unità 5



Parla la scienza

I vasi sanguigni







I l sistema linfatico






Lezioni




unità 7
CORPO UMANO
SISTEMI DI COMUNICAZIONE, CONTROLLO E INTEGRAZIONE
Il sistema nervoso e il sistema endocrino




Il cervello



Videogame e pensiero
Racconto geniale: Ippocrate La struttura del nervo

Il ritmo circadiano

Il sistema ipotalamo-ipofisi


Lezioni in Podcast Test interattivi

Listening
unità 8
I sensi


Parla la scienza
3. Il tatto
Il gusto
L’olfatto
2 La vista
L’occhio
2. La struttura interna dell’occhio
3. La retina
4. Il meccanismo della visione
lezione 3 L’udito e l’equilibrio
1. L’orecchio
2. Come funziona l’orecchio
3. Il senso dell’equilibrio
unità 9
L’organismo si riproduce
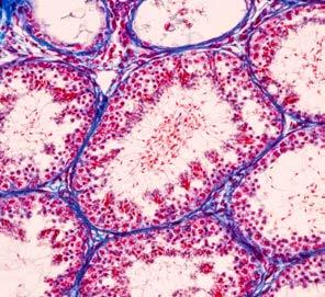
lezione 1 La riproduzione umana
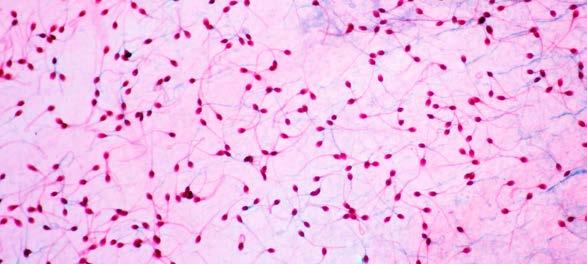
1. I gameti
2. Il numero dei cromosomi nelle cellule somatiche e nei gameti
3. La meiosi
1. Gli organi esterni
2. Gli organi interni
3. I caratteri sessuali secondari nel maschio
lezione 3 L’apparato riproduttore femminile
1. Gli organi sessuali femminili
2. Il ciclo ovarico e il ciclo mestruale
4 Dalla fecondazione alla nascita
1. La fecondazione
2. La segmentazione e l’annidamento
3. Da embrione a feto
4. Si completa la formazione degli organi
5. Il parto




Lezioni in Podcast Test interattivi Listening


La meiosi

L’incontro di uno spermatozoo e di una cellula uovo

Come si formano i gemelli

Le fasi dello sviluppo embrionale

Le malattie a trasmissione sessuale



Lezioni in Podcast Test interattivi Listening
I difetti della vista
Conoscere il nostro corpo per mantenerci in salute CORPOUMANO
1

Prenderci cura della salute è un impegno che dobbiamo assumere fin da quando siamo giovani. Il fatto di sentirci forti e vitali, come generalmente avviene nella prima fase della vita, non può prescindere dalla conoscenza della struttura del nostro organismo, delle caratteristiche e delle funzioni dei diversi apparati e sistemi e degli organi che li formano, e di come dobbiamo comportarci per conservarli efficienti col passare degli anni. Ugualmente importante è conoscere quali sono i rischi che corre il corpo quando si ammala e quali sono le principali malattie che sono oggetto di studio della medicina e di tutte le diverse specializzazioni in cui si suddivide. Se, per esempio, ci fratturiamo un osso praticando uno sport, dobbiamo rivolgerci a uno specialista in ortopedia, mentre se abbiamo qualche problema alla pelle, come può accadere durante l’adolescenza, dobbiamo farci visitare da uno specialista in dermatologia. Esiste però un modo per conservare la nostra salute che possiamo realizzare ogni giorno: un’alimentazione sana ed equilibrata, secondo quanto ci suggerisce la scienza dell’alimentazione, è la migliore prevenzione delle malattie, in particolare di quelle che possono colpire gli organi dell’apparato digerente, oggetto di studio della gastroenterologia.




L’alimentazione unità 2 digerente L’apparato unità 3
ALIDA CARRÀ, infermiera


Concluso il liceo scientifico con indirizzo biologico, Alida ha scoperto la sua passione per la biologia e la biochimica e il desiderio di creare relazioni con le persone. Da qui la scelta di iscriversi alla facoltà di Scienze infermieristiche e completare la sua formazione con un master in terapia intensiva. Oggi vive a Londra e lavora in un importante ospedale dove è anche tutor dei giovani infermieri.
MATTEO MAURI, medicoechirurgo
Matteo ha conseguito la laurea in Medicina e Chirurgia e oggi lavora in Svizzera. Ottenuto un dottorato di ricerca in immuno-oncologia, Matteo si è specializzato in Medicina interna e in Oncologia medica. Il suo desiderio è di creare un filo diretto tra la ricerca e la clinica medica per offrire ai pazienti affetti da tumori nuove cure più efficaci e nel minor tempo possibile.

MICHELA LUPO, informatore medico-scientifico
Michela si è laureata in Biologia biomolecolare e, dopo alcuni anni di insegnamento, ha iniziato a lavorare in un’azienda farmaceutica come informatore medico-scientifico. La sua attività consiste nel fornire informazioni sui farmaci, sui loro effetti benefici ma anche sui possibili effetti collaterali; organizza corsi di formazione per far conoscere i prodotti farmaceutici e le terapie disponibili, partecipa a conferenze mediche per presentare le ultime scoperte in campo farmaceutico.
Marie Curie

PARLA LA SCIENZA
corpo umano Il sistema unità
lezione 1
L ’ORGANIZZAZIONE DEL CORPO UMANO
lezione 2
l ’APPARATO TEGUMENTARIO
EDUCAZIONE CIVICA
Le malattie della pelle
lezione 3
IL SISTEMA SCHELETRICO
lezione 4
IL SISTEMA MUSCOLARE


BUONE NOTIZIE PER IL FUTURO

SCIENCE REEL


Pelle e rughe: dillo al babbo e alla mamma
L’ organizzazione del corpo umano lezione 1
CARTA PENNA COMPUTER

Gli apparati e i sistemi del corpo umano
1 Le parti del corpo umano.
Il capo comprende il cranio e la faccia
Racchiude e protegge il cervello ed è la sede degli organi di senso della vista, dell’udito, dell’olfatto e del gusto.
Il tronco è congiunto al capo mediante il collo. Internamente è diviso in due parti da un muscolo, il diaframma: la parte superiore è chiamata torace, la parte inferiore addome Il torace contiene i polmoni e il cuore, che sono protetti dalle costole e dalle vertebre. L’addome contiene gli organi degli apparati digerente, escretore e riproduttore.
Esplora l’oggetto interattivo e scrivi le risposte sul quaderno.
1. Quali sono gli apparati del corpo umano?
2. Quali sono i sistemi del corpo umano?
3. Quali sono gli apparati e/o i sistemi più complessi?
4. Dove sono localizzati entrambi?
ORA FERMA L’IMMAGINE!
Metti in pausa il video nei seguenti punti.




5. Trova le immagini e scrivi una breve descrizione per ciascuna figura.
1
Come siamo fatti
Nessuno è come te, eppure il tuo corpo è fatto allo stesso modo di ogni altro essere umano. Quando lo descrivi usi dei termini che spesso sono imprecisi perché sono quelli del linguaggio di tutti i giorni. Per cominciare a studiare il corpo umano è bene conoscere i nomi corretti con i quali si indicano le sue parti 1
La scienza che studia la struttura del corpo e ne descrive gli organi interni è l’anatomia. Le sue origini sono lontane nel tempo, ma solo dal Rinascimento la pratica dell’autopsia ha permesso di avere conoscenze più precise di come siamo fatti. La fisiologia è invece la scienza che studia le nostre funzioni vitali.
Gli arti sono disposti simmetricamente rispetto al tronco e si distinguono in superiori e inferiori. Gli arti superiori sono collegati al tronco mediante il cinto scapolare (le spalle). Ciascuno di essi comprende tre parti: braccio, avambraccio e mano. Gli arti inferiori sono collegati al tronco mediante il cinto pelvico (le anche). Ciascuno di essi comprende tre parti: coscia, gamba e piede
Come per gli animali, anche per l’essere umano si distinguono funzioni della vita vegetativa, cioè funzioni che si svolgono indipendentemente dalla nostra volontà, come per esempio la respirazione, e funzioni della vita di relazione, che ci permettono di stabilire un rapporto vantaggioso con l’ambiente.
2 I livelli di organizzazione del corpo umano
Il corpo umano può essere considerato un sistema formato da tante parti organizzate tra loro: ognuna di esse svolge funzioni specifiche, ma in stretta relazione con le altre. Il nostro organismo cresce e sopravvive grazie alla sua perfetta organizzazione interna: procedendo dal livello di organizzazione più piccolo a quello più grande, si passa dalle cellule, ai tessuti, agli organi fino agli apparati e ai sistemi 2

Il coordinamento corporeo
■ Cellule e tessuti
Le parti più piccole del “sistema corpo umano” sono le cellule. Quelle che formano il nostro corpo presentano forme caratteristiche; ne esistono circa 200 tipi differenti e sono diverse a seconda delle funzioni che svolgono.
Le cellule non sono autonome e indipendenti, ma svolgono in maniera coordinata funzioni particolari, formando un tessuto
Un tessuto è un insieme di cellule specializzate, che compie una determinata funzione.
L’istologia è la branca della biologia che studia la struttura microscopica dei tessuti animali e vegetali.
■ Organi
Tessuti di tipo diverso si uniscono per formare parti distinte del nostro organismo, gli organi
Un organo è formato da tessuti di tipo diverso, che collaborano insieme per svolgere una o più funzioni particolari.
Il cuore, ad esempio, è l’organo propulsore della circolazione costituito da tessuto muscolare; i reni sono organi filtranti che trattengono ed eliminano le sostanze di rifiuto contenute nel sangue; lo stomaco è un organo che partecipa alla digestione degli alimenti.
2 Dalla cellula epiteliale all’apparato digerente.
MARIE skŁodowska CURIE
Marie Curie ha vinto il premio Nobel nel 1903 per le sue ricerche sulle sostanze radioattive. Le studiò senza sapere pienamente quanto potessero essere dannose per il corpo umano. Infatti l’esposizione prolungata alle radiazioni può danneggiare le cellule, alterare il DNA, compromettere il corretto funzionamento dei tessuti e indebolire il sistema immunitario. Tuttavia l’applicazione dei raggi X ha permesso lo sviluppo della tecnica della radiografia RX che permette di visualizzare le strutture interne del corpo.
TESSUTO (tessuto epiteliale)
ORGANO (stomaco)
CELLULA (cellula epiteliale)
APPARATO (apparato digerente)
3 Apparati e sistemi del corpo umano.

■ Apparati e sistemi
Gli organi non lavorano da soli, ma sono parte di complessi più grandi, gli apparati e i sistemi, che garantiscono tutte le funzioni vitali dell’organismo 3 . La differenza tra un apparato e un sistema dipende dai tessuti che formano gli organi.
Un apparato è un insieme di organi costituiti da tessuti differenti, che collaborano per lo svolgimento di una funzione comune.
Per esempio, l’apparato circolatorio è formato da organi molto diversi tra loro, come il cuore, le arterie e le vene, ed è responsabile della distribuzione di ossigeno e sostanze nutritive; l’apparato digerente è formato dal tubo digerente ma anche da grosse ghiandole come il fegato e il pancreas e si occupa dell’assimilazione dei cibi.
Un sistema è formato da organi composti dallo stesso tipo di tessuto.
Esempi di sistemi sono il sistema scheletrico, che è costituito dalle ossa composte da tessuto osseo, oppure il sistema nervoso, formato dal tessuto nervoso.
APPARATO DIGERENTE demolisce gli alimenti e assorbe le sostanze nutritive


APPARATO ESCRETORE elimina le sostanze di rifiuto
SISTEMA MUSCOLARE permette il movimento
SISTEMA SCHELETRICO sostiene e protegge

SISTEMA NERVOSO raccoglie stimoli ed elabora risposte

APPARATO RESPIRATORIO permette lo scambio dei gas respiratori

SISTEMA SCHELETRICO sostiene e protegge

SISTEMA NERVOSO raccoglie st imoli e elabora risposte

SISTEMA MUSCOLARE permette il movimento
svolge la funzione di distribuire ossigeno e sostanze nutritive. b




SISTEMA CIRCOLATORIO trasporta ossigeno e sostanze nutritive
APPARATO CIRCOLATORIO trasporta ossigeno e sostanze nutritive
APPARATO IMMUNITARIO difende da agenti estranei e da malattie
APPARATO RIPRODUTTORE
genera cellule riproduttive, protegge e nutre l’embrione
SISTEMA IMMUNITARIO difende da agenti estranei e da malattie
APPARATO RIPRODUTTORE




APPARATO TEGUMENTARIO riveste e protegge il corpo
genera cellule riproduttive, protegge e nutre l’embrione

SISTEMA ENDOCRINO produce ormoni
SISTEMA ENDOCRINO produce ormoni
CARTA PENNA COMPUTER

Dalle cellule staminali ai tessuti
2
L’ apparato tegumentario
Guarda il video e scrivi le risposte sul quaderno.
1. Che cos’è un tessuto?
2. Perché le cellule staminali sono definite totipotenti?
3. Qual è la particolarità del tessuto muscolare?
4. Come si chiamano le cellule che formano il tessuto nervoso?
5. Che tipo di tessuto è il sangue?
1
ORA FERMA L’IMMAGINE!
Metti in pausa il video nel seguente punto.

6. Scrivi una didascalia di commento.
Un apparato con tante funzioni
Quando conosci una persona, cerchi di memorizzare il suo viso, così da riconoscerla all’incontro successivo. Il colore dei capelli e la pettinatura, le sopracciglia folte, la barba o i baffi, la presenza di un neo o dei brufoli sono caratteristiche riconducibili a un unico apparato, che si estende su tutto il corpo: è l’apparato tegumentario
L’apparato tegumentario è formato dalla pelle e dagli annessi cutanei (peli, capelli, unghie e alcune ghiandole).
Qual è l’organo più grande del corpo?
Non ci crederai, ma l’organo più grande del corpo umano è la pelle! La pelle di una persona media copre un’area di 1,5-2 m 20 km di vasi sanguigni ed è costituita da 300 milioni di cellule; pesa tra 3,5 e 10 kg e rappresenta il 15% del peso corporeo. Il 65% del peso della pelle è costituito da acqua, mentre il collagene costituisce il 70-80% del peso a secco della pelle. La pelle possiede due importanti proprietà: l’autoriparazione, in quanto è capace di rigenerarsi in seguito a una lesione, e l’estensibilità, in quanto si adatta perfettamente ai cambiamenti delle dimensioni del corpo che si manifestano nel corso della vita.

Il termine “tegumentario” deriva da “tegumento”, che significa rivestimento. La pelle, o cute, è infatti un tessuto di rivestimento, un involucro elastico e abbastanza resistente che avvolge senza interruzione il corpo, ricoprendo anche le cavità come la bocca e il naso, dove prende il nome di mucosa. In effetti, la pelle è molto più di un semplice rivestimento e svolge molte funzioni indispensabili 1 .
La protezione
La difesa dai microrganismi
Le sostanze prodotte dalle ghiandole della pelle (il sebo e il sudore) costituiscono la prima barriera contro l’attacco di batteri e funghi microscopici.


L’escrezione
La produzione del sudore serve alla pelle a eliminare alcune sostanze di rifiuto prodotte durante l’attività muscolare intensa.
La pelle resiste alla maggior parte delle sostanze chimiche che usiamo ogni giorno e ci difende dall’azione dei raggi ultravioletti del Sole. Ha anche la capacità di rigenerarsi rapidamente in caso di ferite e piccoli urti.


La sintesi
L’esposizione ai raggi solari stimola la pelle a sintetizzare la vitamina D, una sostanza di vitale importanza per lo sviluppo delle ossa.
1 Le funzioni dell’apparato tegumentario.
La termoregolazione
La pelle contribuisce a mantenere costante la temperatura corporea Quando la temperatura sale, la pelle disperde calore attraverso la sudorazione; quando la temperatura scende, si riduce l’afflusso di sangue nella parte più superficiale della pelle, in modo da disperdere meno calore.


La sensibilità
All’interno della cute, distribuite in maniera non uniforme nel corpo, sono presenti numerose terminazioni nervose sensibili alla pressione, alle variazioni di temperatura e al dolore.
pelo melanociti
ipoderma derma epidermide
strato corneo
strato germinativo
vasi sanguigni
2
La pelle
La pelle è l’organo più esteso del corpo: spessa da 1 a 2 mm, in un uomo adulto copre una superficie di circa 2 m2. Se la osserviamo al microscopio possiamo distinguere tre strati posti l’uno sotto l’altro: l’epidermide, il derma e l’ipoderma 2
ghiandola sudoripara follicolo del pelo
2 La struttura della pelle.
L’epidermide è lo strato più superficiale della pelle. È formato da una parte più esterna, lo strato corneo, e da una parte più profonda, lo strato germinativo. Lo strato corneo è costituito da cellule morte, appiattite e ricche di cheratina, una proteina che rende la pelle resistente e impermeabile all’acqua. Ogni giorno milioni di cellule dello strato corneo si staccano dalla pelle sotto forma di piccole squame; allora, nuove cellule prodotte nello strato germinativo salgono verso l’alto, si riempiono di cheratina e sostituiscono le cellule morte.
L’epidermide ospita terminazioni nervose sensibili alla temperatura e al dolore. Nella parte profonda si trovano i melanociti, cellule specializzate nella produzione di melanina, un pigmento di colore bruno che contribuisce alle diverse colorazioni della pelle. Il derma si trova sotto l’epidermide. È uno strato di tessuto connettivo formato da fibre elastiche che contiene una particolare proteina, il collagene. All’interno del derma si trovano cellule specializzate, dette recettori, che percepiscono diversi tipi di stimoli come il dolore, la tensione della pelle e la pressione. (Parleremo di questo nell’unità dedicata ai sensi.) Nel derma sono presenti anche i vasi sanguigni, i follicoli dei peli, piccoli muscoli annessi ai peli, le ghiandole sudoripare e le ghiandole sebacee L’ipoderma è lo strato più profondo della pelle. È costituito da tessuto connettivo adiposo, ricco di cellule piene di grasso. In questo modo l’ipoderma è in grado di isolare termicamente i tessuti sottostanti e di attutire eventuali urti.
3 Peli e unghie
I peli sono strutture flessibili e filiformi, costituiti in gran parte da cellule morte ricche di cheratina. Ogni pelo è composto dal fusto, che fuoriesce dalla pelle, e dalla radice, inserita in una piccola cavità del derma, il follicolo pilifero, che termina con un rigonfiamento, il bulbo del pelo. Il bulbo è l’unica parte del pelo composta da cellule vive: queste cellule spingono verso l’alto le cellule morte, consentendo così l’accrescimento del pelo. Ogni pelo è collegato a un piccolo muscolo che, contraendosi, lo fa rizzare, facendo venire quella che chiamiamo “pelle d’oca”: è il meccanismo della piloerezione. I capelli, le ciglia, le sopracciglia, i baffi e la barba hanno la stessa struttura dei peli. Le unghie si trovano all’estremità delle dita: hanno funzione protettiva e facilitano la capacità di afferrare gli oggetti. Come i peli, anche le unghie sono formate da cellule morte ricche di cheratina, ravvicinate strettamente le une alle altre.
La radice, che è nascosta sotto la pelle, è formata da cellule vive che accrescono l’unghia. La parte esterna dell’unghia costituisce la lamina; alla sua base si trova un arco biancastro, la lunula.
4
Le ghiandole della pelle
Nella pelle si trovano anche alcune ghiandole esocrine, così chiamate perché riversano i loro prodotti all’esterno del corpo.
Le ghiandole sebacee si trovano nel derma in corrispondenza dei peli. Secernono una sostanza grassa, il sebo, che si deposita su tutta l’epidermide, conferendole morbidezza e lucentezza. Le ghiandole sebacee sono distribuite su tutto il corpo, a eccezione del palmo delle mani e della pianta dei piedi.
Le ghiandole mammarie sono poste nella parte anteriore del tronco. Sono sviluppate e funzionanti solo nelle donne e formano la parte preponderante delle mammelle. Nel periodo successivo al parto, esse producono il latte, che costituisce il nutrimento del neonato.
Le ghiandole sudoripare sono costituite da un tubicino, avvolto a gomitolo, che comunica con l’esterno attraverso un minuscolo foro, il poro. La parte raggomitolata è circondata da numerosi piccoli vasi sanguigni, dai quali escono acqua, sali minerali e sostanze di rifiuto. Queste sostanze passano nella ghiandola sudoripara, salgono fino al poro e infine vengono espulse dall’organismo sotto forma di sudore. Grazie al sudore il corpo elimina alcune sostanze di rifiuto e può anche regolare la propria temperatura con un processo detto termoregolazione. A questo processo contribuiscono anche la parte superficiale della pelle e alcuni annessi cutanei. Per esempio, quando passiamo da un ambiente caldo a uno freddo, i vasi sanguigni si contraggono: si riduce l’afflusso di sangue allo strato superficiale della pelle e diminuisce la perdita di calore. I muscoli collegati ai peli si contraggono in modo asincrono e si sviluppa calore che scalda il sangue. Contemporaneamente il pelo si raddrizza, dando alla pelle l’aspetto della “pelle d’oca” 3 a . Quando invece fa caldo, i vasi sanguigni si dilatano: l’afflusso di sangue aumenta e viene dispersa una maggiore quantità di calore 3 b . Le ghiandole sudoripare producono il sudore che, evaporando, sottrae calore al corpo raffreddandolo.
FISSA I CONTENUTI ESSENZIALI
Completa le frasi con i termini corretti.
3 La regolazione della temperatura corporea.
1. Nello strato della pelle chiamato sono presenti terminazioni nervose.
2. Il pilifero si trova nel derma.
3. Lo strato dell’epidermide è ricco di cheratina.
4. La è la parte esterna dell’unghia.
Esegui l’esperimento.
Sui polpastrelli delle mani la pelle forma dei disegni, le impronte digitali, che hanno due caratteristiche particolari: sono immutabili e individuali. Si formano definitivamente all’ottavo mese di gravidanza, sono diverse da un individuo all’altro e rimangono invariate per tutta la vita. Per verificare la loro individualità puoi fare questo semplice esperimento. Con una matita a mina grassa (per esempio di tipo B) colora una porzione del foglio di un quaderno. Premi un dito sulla parte annerita e trasferisci l’impronta su un foglio bianco. Proteggila con dello scotch trasparente e confrontala con quelli di familiari, amici, compagni. Che cosa osservi?
EDUCAZIONE CIVICA
Le malattie della pelle
La nostra pelle è la prima barriera che il corpo ha a disposizione per difendersi da attacchi esterni di ogni tipo. Conoscerla, capire i segnali che ci manda e prendersene cura è un compito importante che può aiutarci a prevenire patologie anche gravi. Mettiamo in campo strategie semplici ma fondamentali per la nostra salute.
1
Al sole, ma protetti

La pelle contiene una particolare sostanza, la melanina, un pigmento che produce un colore più o meno scuro: poca melanina determina una pelle chiara, molta melanina una pelle scura. La produzione di melanina si accresce quando esponiamo la nostra pelle al Sole, come meccanismo di difesa nei confronti dei raggi solari, soprattutto degli ultravioletti (UVA). Tuttavia se l’esposizione al Sole è prolungata, la melanina non è sufficiente per proteggere la pelle e si può incorrere in ustioni o innescare l’insorgenza di melanomi. Per queste ragioni, è importante esporsi con precauzione, indossare un cappello a falde larghe a protezione degli occhi e della pelle del viso e applicare una crema solare con indice di protezione adatto al proprio tipo di pelle.
2 Attenzione, scotta
L’eccessiva esposizione al Sole, ma anche il contatto con oggetti molto caldi può causare ustioni. Le ustioni di 1° grado sono lievi e interessano solo l’epidermide; quelle di 2° e 3° grado interessano anche derma e ipoderma e devono essere curate in ambito ospedaliero. Sono molto pericolose anche le ustioni lievi quando interessano una vasta area corporea. In seguito a una scottatura si formano sulla cute delle bolle piene di liquido, che non vanno mai bucate perché si potrebbero introdurre agenti patogeni in una parte del corpo priva di difese.
3 Imperfezioni da tenere d’occhio
La pelle può presentare delle imperfezioni, che appaiono come punti più o meno grandi di colore bruno (i nei) o rosso (gli angiomi cutanei). Sono presenti sulla pelle fin dalla nascita, ma aumentano con l’esposizione solare. Generalmente non pericolosi, lo diventano in modo serio quando si trasformano in melanomi, tumori maligni della pelle. Occorre tenere i nei sotto controllo e ricorrere immediatamente al medico quando cambiano la loro fisionomia o evidenziano un alone rosso intorno al loro margine.


4
Ancora un brufolo
L’acne giovanile è un disturbo che colpisce ragazzi e ragazze tra i 13 e i 18 anni e che si presenta con brufoli soprattutto sul viso. È causata da un’eccessiva produzione di sebo che si accumula nel derma e ostruisce lo sbocco delle ghiandole sebacee. Prima il sebo forma dei rigonfiamenti, chiamati comedoni, i cosiddetti punti neri; in seguito i batteri presenti sulla pelle possono infettare i condotti sebacei ostruiti e provocare l’infiammazione dei comedoni dando origine a una piccola vescicola piena di pus, il brufolo. Bisogna resistere alla tentazione di schiacciare i brufoli, per non trasmettere l’infezione ad altri parti del viso e del corpo, e di coprire con cosmetici le parti infiammate.
5 Presto, un cerotto
Una caduta, il contatto con un oggetto tagliente o duro può lacerare la nostra pelle, provocando una ferita attraverso cui entrano nell’organismo sporcizia e microrganismi che possono causare infezioni. Per questo motivo è buona cosa pulire subito la ferita, lavarla e disinfettarla con un antisettico che impedisce, o per lo meno rallenta, lo sviluppo di microrganismi. In caso di ferite lievi è sufficiente poi applicare un cerotto ma, se la ferita è più profonda, è necessaria l’applicazione di punti di sutura per favorire la cicatrizzazione.
6 Qualche precauzione in più


Un buon numero di malattie della pelle provocate da agenti di vario tipo prendono il nome di dermatiti. Esistono virus particolari, per esempio l’Herpex simplex, che attacca soprattutto le labbra, provocando la cosiddetta febbre. Dal momento che è estremamente contagioso, bisogna evitare qualsiasi contatto con la parte infetta; nel caso lavarsi bene le mani, ma soprattutto evitare di toccare gli occhi. Tra le dermatiti rientrano anche le micosi: nelle piscine, per esempio, possono proliferare funghi microscopici che provocano infezioni della pelle. Per questo si consiglia di usare le ciabatte, per rispettare se stessi e gli altri, ma anche per evitare brutte cadute. Anche il contatto con detersivi o metalli può provocare dermatiti, sotto forma di arrossamento, prurito e piccole vescicole: indossare dei guanti protettivi è il sistema migliore per proteggersi.


il sistema scheletrico lezione 3
CARTA PENNA COMPUTER

Le principali ossa
Esplora l’oggetto interattivo e scrivi le risposte sul quaderno.
1. Come si chiamano le ossa che compongono il cinto scapolare?
2. Qual è la funzione della gabbia toracica?
3. Dove si trova l’osso più lungo del corpo?
4. Quante sono le ossa della mano?

1
ORA FERMA L’IMMAGINE!
Rivedi il video e individua a quale parte dello scheletro appartengono le ossa rappresentate nelle immagini seguenti..


Lo scheletro e le sue funzioni
Ogni giorno facciamo centinaia di movimenti diversi grazie all’interazione tra due sistemi: il sistema scheletrico o scheletro 1 , formato principalmente dalle ossa, e il sistema muscolare, costituito dai muscoli che sono collegati alle ossa. Camminare, afferrare gli oggetti, accavallare le gambe, sbattere le palpebre, muovere le labbra: tutti i movimenti del corpo sono resi possibili dalla collaborazione tra i due sistemi.
Il sistema scheletrico è formato dalle ossa dello scheletro e dalle articolazioni. Lo scheletro è suddiviso in:
• scheletro assile, che comprende le ossa del cranio, del torace, della colonna vertebrale e la cassa toracica;
• scheletro appendicolare, che comprende il cinto scapolare, che sostiene le ossa degli arti superiori, e il cinto pelvico, che sostiene quelle degli arti inferiori.
Il sistema scheletrico svolge importanti funzioni 2 .
1 Lo scheletro umano.


dello scheletro


lo scheletro fornisce al corpo una struttura che gli dà sostegno ma al tempo stesso è mobile.
Protezione: le ossa proteggono alcuni organi interni importanti e delicati, come il cuore, i polmoni e il cervello.

Movimento: forniscono ai muscoli i punti su cui inserirsi per far muovere il corpo.

dello scheletro.

Riserva di sali minerali immagazzinano sali minerali, in particolare calcio, fosforo, potassio e sodio. In caso di necessità, i minerali possono essere prelevati dallo scheletro e distribuiti nel circolo sanguigno.
2 Il tessuto osseo e il tessuto cartilagineo



cellule del sangue: il midollo osseo rosso contenuto nelle cavità di alcune ossa produce le cellule del sangue: globuli rossi, globuli bianchi e piastrine.

Lo scheletro umano comprende 206 ossa formate da due tipi di tessuto: il tessuto osseo e il tessuto cartilagineo. Il tessuto osseo è formato da cellule vive, gli osteocìti, immerse in una sostanza prodotta dagli osteociti stessi. Questa sostanza è organizzata in lamelle ed è composta da una parte organica, l’osseina, e da sali minerali, soprattutto fosfato di calcio e carbonato di calcio: l’osseina conferisce elasticità al tessuto osseo, mentre i sali minerali lo rendono duro e resistente. Tutte le ossa dello scheletro sono rivestite da una membrana, il periostio. A seconda di come sono posizionate le lamelle, si distinguono due tipi di tessuto osseo: il tessuto osseo compatto e il tessuto osseo spugnoso 3
canale di Havers



lamelle ossee
periostio vaso sanguigno

tessuto osseo spugnoso
Nel tessuto osseo compatto le lamelle sono addossate le une alle altre e sono disposte in modo concentrico attorno a piccoli canali, detti canali di Havers. All’interno dei canali passano i nervi e i vasi sanguigni che riforniscono gli osteociti di sostanze organiche, ossigeno e sali minerali. Nel tessuto osseo spugnoso le lamelle s’intersecano tra di loro, delimitando piccole cavità piene di midollo rosso, il tessuto che produce le cellule del sangue. Il tessuto cartilagineo (o cartilagine) è formato da cellule vive tondeggianti, i condrocìti, immerse in una sostanza ricca di fibre di collagene e fibre elastiche. È composto per circa il 60% di acqua ed è privo di vasi sanguigni e di nervi. Il tessuto cartilagineo è resistente e flessibile; nell’individuo adulto si trova soprattutto tra un osso e l’altro per attutire i colpi e ridurre lo sfregamento.

tessuto osseo compatto



3 La sezione di un osso.
4 L’ossificazione e la crescita di un osso.
Alla nascita, lo scheletro del neonato è formato in buona parte da cartilagine ma, ancora prima della nascita, ha inizio il processo di ossificazione, cioè la trasformazione del tessuto cartilagineo in tessuto osseo 4 . Le cellule prelevano dal sangue le sostanze minerali (soprattutto sali di calcio) e le depositano nella cartilagine che progressivamente si disgrega, intrappolando le cellule nello stesso materiale che hanno depositato. L’ossificazione è particolarmente intensa fino ai 2 anni di vita e nel periodo della pubertà, dai 12 ai 15 anni per le femmine e dai 13 ai 16 anni per i maschi; si conclude solo a crescita finita, intorno ai 25 anni. Alcune parti dello scheletro rimangono tuttavia sempre cartilaginee, come i padiglioni delle orecchie, la punta del naso e le estremità delle costole.
processo di ossificazione

struttura
cartilaginea cartilagine in corso di calcificazione vasi sanguigni


Un osso lungo. a
epifisi

diafisi
cartilagine

epifisi


infanzia nascita osso maturo

A seconda della loro forma, le ossa sono distinte in tre tipi: ossa lunghe, ossa piatte e ossa corte
ossa lunghe presentano una parte centrale allungata, detta diàfisi, e due estremità arrotondate, le . La diafisi è fatta di tessuto osseo compatto che delimita una cavità; dentro questa cavità si trova il midollo osseo giallo, una sostanza ricca di grassi che costituisce una riserva di energia per l’organismo. Le epifisi invece sono formate da tessuto osseo spugnoso e contengono il midollo osseo rosso. Sono ricoperte di cartilagine che favorisce il movimento dell’osso nell’articolazione. Le ossa lunghe si trovano principalmente negli arti. hanno uno spessore molto ridotto; sono formate da due strati superficiali di tessuto osseo compatto, contenenti nel mezzo uno strato di tessuto spugnoso con il midollo rosso. Sono ossa piatte la scapola, le ossa del bacino e quelle del cranio.
cartilagine osso spugnoso osso compatto cavità centrale della diafisi midollo osseo giallo vasi sanguigni

le tre dimensioni sono all’incirca uguali; sono costituite principalmente da tessuto osseo spugnoso, con relativo midollo rosso, rivestito da uno strato di tessuto osseo compatto. Sono ossa corte le vertebre e alcune ossa del piede e della mano.
Un osso piatto. b

Un osso corto. c

osso compatto osso spugnoso
osso compatto
osso spugnoso


midollo osseo
4 Le articolazioni
Le ossa sono rigide, non possono curvarsi o piegarsi: per consentire al corpo di svolgere le normali attività è necessario che esse siano collegate tra loro.
Le articolazioni sono le strutture che collegano due o più ossa.
Le articolazioni sono formate da cartilagini e legamenti: le cartilagini hanno la funzione di ridurre l’attrito tra le ossa che sono in contatto e rendere i movimenti più scorrevoli; i legamenti mantengono le ossa nella corretta posizione. Rispetto all’ampiezza del movimento che esse consentono, le articolazioni possono essere fisse, semimobili o mobili.
• Le articolazioni fisse non permettono alcun movimento tra le ossa, perciò lo strato di cartilagine è molto sottile e i legamenti sono assenti. Queste articolazioni creano strutture rigide e resistenti. Si trovano ad esempio tra le ossa del cranio, dove sono dette suture, e formano la scatola cranica che protegge il cervello 6 a .

6 I tre tipi di articolazioni:
























Quali sono le ossa più piccole del corpo?
Sono il martello, l’incudine e la staffa, tre ossicini che si trovano nell’orecchio. La staffa, che misura tra 2,6 e 3,4 mm, ha le dimensioni di un chicco di riso ad è anche l’osso più leggero del corpo, con un peso tra 2 e 4,3 mg. Il loro ruolo è trasmettere vibrazioni sonore dall’aria fino al fluido contenuto nell’orecchio interno. Queste ossa sono anche le uniche che non si modificano dopo il primo anno di vita: un cambiamento di forma potrebbe, infatti influire sull’udito.


sutura vertebra






• Le articolazioni semimobili permettono movimenti limitati; si trovano, per esempio, tra due vertebre successive 6 b .


















• Le articolazioni mobili, come quelle tra le ossa degli arti, consentono ampi movimenti. Le ossa sono tenute nella loro posizione grazie a una struttura a manicotto che le avvolge, la capsula articolare. Per ridurre ulteriormente l’attrito, in questo tipo di articolazione è presente un liquido viscoso, la sinovia, che serve da lubrifi cante 6 c










FISSA I CONTENUTI ESSENZIALI
Segna con una crocetta se vero (V) o falso (F).
1. Il sistema scheletrico è formato solo dalle ossa dello scheletro.
2. I canali di Havers si trovano nel tessuto osseo compatto.
3. Il midollo rosso produce le cellule del sangue.
4. La sutura è una articolazione mobile.
c

legamento del femore
rotula
legamento della rotula menischi






dischi di cartilagine
femore in sezione








tibia in sezione

Fisse nel cranio. a
Semimobili nella colonna vertebrale. b
Mobile nel ginocchio.
Il sistema muscolare lezione 4
CARTA PENNA COMPUTER

I muscoli del corpo umano
Esplora l’oggetto interattivo e scrivi le risposte sul quaderno.
1. Dove si trovano i muscoli mimici?
2. Come si chiama il muscolo della spalla?
3. Che cosa muovono i muscoli dell’avambraccio?
4. Quale muscolo flette l’avambraccio?
ORA FERMA L’IMMAGINE!
Metti in pausa il video nei seguenti punti.



5. Dai un titolo di ciascuna figura rappresentata.

1 I muscoli
muscoli assiali muscoli appendicolari
Ossa e articolazioni costituiscono un sistema mobile, ma i movimenti del corpo e degli organi interni che svolgono funzioni vitali indispensabili sono possibili solo grazie al sistema muscolare. Esso è costituito da circa 500 muscoli, che corrispondono alla metà della massa corporea. Si distinguono in due gruppi: i muscoli volontari (che rispondono alla nostra volontà) e i muscoli involontari (che lavorano indipendentemente dalla nostra volontà). Quando cammini, sorridi, sollevi un peso o calci il pallone utilizzi i muscoli volontari. Non potrai mai controllare il battito del tuo cuore o il passaggio del cibo nel tubo digerente, perché i muscoli coinvolti in queste attività sono involontari.
I muscoli volontari non sono tutti uguali: alcuni si collegano alle ossa per mezzo di robuste fibre, i tendini, e per questo si chiamano muscoli scheletrici. Si suddividono in assiali e appendicolari a seconda dei distretti del corpo in cui agiscono. I muscoli assiali sono quelli della testa, del collo e del tronco; sostengono e muovono la testa, e mantengono la postura eretta. I muscoli appendicolari comprendono i muscoli degli arti e quelli dei cinti scapolare e pelvico; presiedono ai movimenti degli arti 1 . Altri invece sono collegati alla pelle e sono detti muscoli cutanei I muscoli cutanei che si trovano nel capo ci permettono di abbassare le palpebre, sorridere, dare al viso numerose espressioni che permettono di descrivere le emozioni che proviamo: per questa ragione sono chiamati muscoli mimici 2
1 I muscoli assiali e appendicolari.

2 I muscoli mimici.

2
Come sono fatti i muscoli
Il tessuto che forma i muscoli è costituito da centinaia di cellule allungate, le fibre muscolari, che sono disposte parallelamente le une alle altre e sono riunite in fasci muscolari 3
Le fibre muscolari hanno due importanti caratteristiche, dovute alla loro particolare struttura: la contrattilità, cioè la possibilità di accorciarsi, e l’elasticità, la capacità di distendersi e riprendere la lunghezza originaria.
Osservata al microscopio, ogni fibra muscolare risulta formata da numerose fibre sottili, le miofibrille. Ogni miofibrilla è composta a sua volta da due tipi di filamenti: quelli più sottili sono formati da actina, quelli più grossi da miosina. Actina e miosina sono due proteine che determinano la contrattilità dei muscoli. I filamenti di actina e miosina sono disposti in modo regolare in unità chiamate sarcomeri
Quando i filamenti di actina e quelli di miosina sono disposti parallelamente, si formano delle bande chiare e delle bande scure: le bande chiare derivano dalla sovrapposizione di filamenti di actina, quelle scure dalla sovrapposizione di filamenti di miosina. I muscoli con questa struttura sono detti muscoli striati. Essi hanno una spiccata elasticità, ma non possono lavorare per lungo tempo. I muscoli scheletrici e tutti i muscoli volontari sono striati.
Quando le miofibrille sono più corte, le due proteine non hanno una struttura regolare; osservate al microscopio, le miofibrille mostrano una struttura quasi uniforme e si parla di muscoli lisci. I muscoli lisci sono meno scattanti di quelli striati, ma possono lavorare per lungo tempo. Tutti i muscoli involontari sono lisci.
Il cuore, il più importante muscolo involontario del nostro corpo, è formato da un tessuto particolare, il miocardio: le sue miofibrille hanno un aspetto striato ma le contrazioni sono involontarie 4
SISTEMA MUSCOLARE
4 Differenti tipi di muscoli.
3 La struttura di un muscolo scheletrico.
muscoli striati
bicipite
muscoli lisci tricipite
miocardio deltoide stomaco
intestino
cuore
guaina di rivestimento
fibre muscolari
fibra muscolare
reticolo sarcoplasmatico
sarcomero
miofibrille
fascio muscolare

Actina e miosina in
5 La contrazione muscolare.
3 Come lavorano i muscoli
L’attività muscolare è regolata dal cervello, ma il funzionamento vero e proprio di un muscolo è legato alla sua particolare struttura, in particolare alla disposizione di actina e miosina. Quando arriva un impulso, i filamenti di actina scivolano tra quelli di miosina e provocano l’accorciamento della miofibrilla e, di conseguenza, il muscolo si contrae. Quando i filamenti tornano alla configurazione di partenza il muscolo si distende. Le contrazioni esauriscono la contrattilità e l’eccitabilità del muscolo, determinando la fatica 5
filamenti di miosina filamenti di actina
Muscolo a riposo. a
movimento dell’actina
Muscolo durante la contrazione. b
movimento dell’actina
6 I movimenti dei muscoli.
4 Le azioni svolte dai muscoli scheletrici
I muscoli scheletrici, responsabili dei movimenti delle ossa, possono essere classificati in base all’azione che svolgono 6 :
• i flessori avvicinano un osso a un altro osso con cui è articolato;
• gli estensori allontanano un osso da un altro osso con cui è articolato;
• i rotatori determinano la rotazione di un osso sul proprio asse;
• gli abduttori allontanano un osso dalla linea mediana del corpo;
• gli adduttori avvicinano l’osso alla linea mediana del corpo.
I muscoli scheletrici spesso devono lavorare in coppia. Infatti, quando un muscolo si contrae, provoca il movimento di un osso in un senso, ma la successiva distensione spesso non è sufficiente a riportare l’osso nella corretta posizione: deve quindi intervenire un altro muscolo per mettere l’osso al suo posto.
Per esempio, i responsabili della flessione e dell’estensione dell’avambraccio sono il bicipite e il tricipite 7
Il bicipite è fissato per un’estremità alla scapola e per l’altra al radio; il tricipite è fissato per un’estremità all’omero e alla scapola e per l’altra all’ulna. Quando il bicipite si contrae, accorciandosi, l’avambraccio si flette, avvicinandosi al braccio. La posizione di estensione dell’avambraccio viene ripristinata con la contrazione del tricipite. Muscoli come il bicipite e il tricipite sono chiamati muscoli antagonisti, in quanto svolgono azioni contrarie l’una all’altra.
I muscoli scheletrici producono movimenti in cui le ossa si comportano come bracci di una leva. Il cranio rappresenta una leva di primo genere, con fulcro nella nuca, potenza rappresentata dai muscoli del collo, resistenza dal peso della faccia e della parte anteriore del cranio. Quando ci solleviamo sulla punta dei piedi agisce una leva di secondo genere: il fulcro è il punto di appoggio delle dita, la potenza è data dai muscoli del polpaccio, la resistenza dal peso del corpo. Nella flessione del braccio agisce una leva di terzo genere: il gomito fa da fulcro, la potenza è data dal bicipite, la resistenza da avambraccio, mano ed eventuali oggetti da sollevare.
FISSA I CONTENUTI ESSENZIALI
Sottolinea il termine corretto tra i due proposti.
il bicipite si contrae

il tricipite si rilassa flessione scapola
estensione
radio ulna il bicipite si rilassa il tricipite si contrae
7 Bicipite e tricipite, una coppia di muscoli antagonisti.
1. I muscoli scheletrici/cutanei sono attaccati alle ossa mediante i tendini.
2. I muscoli volontari/involontari lavorano in modo indipendente dalla nostra volontà.
3. I muscoli flessori/rotatori avvicinano due ossa tra loro.
4. Bicipite e tricipite sono un esempio di muscoli coordinati/antagonisti
VERSO LE COMPETENZE
Conoscerai certamente queste immagini. Ricerca informazioni in rete e rispondi alle domande.
• Sai perché si chiamano emoticon?
• Qual è il significato di questa parola?
• Perché si utilizza il viso?

• Usa degli aggettivi per descrivere le emozioni rappresentate dalle immagini.
Come si muove il nostro corpo
omero
VISUAL dello scheletro Le principali ossa

Il sistema scheletrico è formato dalle ossa e dalle articolazioni ed è suddiviso in due parti. Lo scheletro assile comprende il capo, la colonna vertebrale e la gabbia toracica. Lo scheletro appendicolare è formato dalle ossa degli arti superiori collegati allo scheletro assile dal cinto scapolare, e da quelle degli arti inferiori, collegati allo scheletro assile dal cinto pelvico.
Scheletro assile
IL CAPO
È costituito dal cranio e dalla faccia.
Il cranio è una scatola ossea che protegge l’encefalo, formata da ossa piatte collegate tra loro da suture. Anche la faccia è formata da ossa saldate tra loro, a eccezione della mandibola, l’unico osso mobile del capo.
LA COLONNA VERTEBRALE
È formata da 33-34 vertebre, ossa corte, formate da un corpo centrale e un arco che delimita il foro vertebrale. Sono suddivise in cinque gruppi: 7 vertebre cervicali che formano lo scheletro del collo, 12 vertebre toraciche (o dorsali) e 5 vertebre lombari
Le ultime vertebre sono fuse insieme in due gruppi: 5 formano l’osso sacro e 4 o 5 formano il còccige
LA GABBIA TORACICA
Protegge il cuore e i polmoni. È costituita da 12 paia di costole e dallo sterno, collegato alle costole da fasci di cartilagine.

cranio
mandibola
sterno
costola
colonna
vertebrale
gabbia
toracica
scapola
Scheletro appendicolare
IL CINTO SCAPOLARE
È formato da due ossa a forma di S, le clavicole, che si articolano con le scapole, due ossa piatte triangolari.
GLI ARTI SUPERIORI
Sono divisi in braccio, formato dall’omero, e in avambraccio, costituito da ulna e radio. L’avambraccio si collega, grazie alle ossa del polso, alla mano, composta da 27 ossa differenti riunite in carpo, metacarpo e falangi
IL CINTO PELVICO
È formato da tre ossa piatte: ileo, ischio e pube. Il cinto pelvico, oltre che collegarsi alle ossa degli arti inferiori, protegge gli organi addominali e costituisce il bacino
GLI ARTI INFERIORI
Sono divisi in tre parti: coscia, gamba e piede. Nella coscia, che va dall’anca al ginocchio, si trova il femore, l’osso più lungo del corpo. Nella gamba, che va dal ginocchio alla caviglia, si trovano due ossa, tibia e perone. Infine, il piede è formato dalle ossa del tarso, del metatarso e delle falangi


CON LA SINTESI
lezione 1 L’ORGANIZZAZIONE DEL CORPO UMANO
Nel corpo umano si distinguono il capo, che comprende il cranio e la faccia, il tronco, che comprende il torace e l’addome, gli arti, distinti in superiori e inferiori, che sono collegati al tronco tramite il cinto scapolare e il cinto pelvico.
L’unità fondamentale del nostro corpo è la cellula. Cellule simili, specializzate a svolgere la medesima funzione, costituiscono un tessuto. Tessuti di diverso tipo formano gli organi; a loro volta gli organi sono parte di complessi più grandi, gli apparati, formati da organi composti da differenti tessuti, e i sistemi, formati da organi composti dallo stesso tipo di tessuto. Apparati e sistemi collaborano strettamente tra loro, permettendo lo svolgimento di tutte le funzioni vitali. La scienza che studia la struttura del corpo e descrive gli organi interni è l’anatomia; la fisiologia, invece, è la scienza che studia le funzioni vitali.
lezione 2 L’APPARATO TEGUMENTARIO
L’apparato tegumentario è composto dalla pelle e dagli annessi cutanei (peli, unghie, ghiandole sudoripare, sebacee e mammarie).
La pelle riveste il nostro corpo e le cavità interne, come la bocca e in naso dove prende il nome di mucosa, e lo protegge dagli attacchi di agenti patogeni esterni, elimina sostanze di rifiuto, mantiene costante la temperatura ed è sensibile agli stimoli.


La pelle è costituita da tre strati sovrapposti. L’epidermide, lo strato più superficiale, si divide nello strato corneo, costituito da cellule morte ricche di cheratina, e nello strato germinativo, che produce le nuove cellule e contiene melanina e terminazioni nervose. Il derma, lo strato intermedio, contiene vasi sanguigni, recettori, follicoli dei peli, ghiandole sudoripare e sebacee. L’ipoderma, lo strato profondo, è un tessuto connettivo ricco di cellule adipose e ha il compito di proteggere e isolare termicamente gli organi. I peli e le unghie sono formati quasi interamente da cellule morte, ricche di cheratina. I peli sono strutture flessibili e filiformi che contribuiscono alla termoregolazione; le unghie hanno funzione protettiva e facilitano la capacità di afferrare oggetti. Le ghiandole della pelle si distinguono in: ghiandole sebacee, che producono sebo; ghiandole mammarie, che nella donna producono il latte dopo il parto; ghiandole sudoripare, che producono il sudore per regolare la temperatura corporea.

lezione 3 IL SISTEMA SCHELETRICO
Il sistema scheletrico svolge le funzioni di sostegno del corpo, protezione degli organi interni, movimento (insieme al sistema muscolare), riserva di sali minerali e produzione delle cellule del sangue. Le ossa sono formate da tessuto osseo, che può essere compatto o spugnoso, a seconda della disposizione delle lamelle che formano le ossa, e da tessuto cartilagineo
Il tessuto cartilagineo, formato da condrociti, costituisce la maggior parte del sistema scheletrico dei neonati; attraverso il processo di ossificazione il tessuto cartilagineo viene sostituito dal tessuto osseo, rimanendo solo in alcune parti dell’individuo adulto. In base alla forma, le ossa si distinguono in lunghe (negli arti), piatte (nel capo) e corte (nella colonna vertebrale); si collegano l’una all’altra mediante le articolazioni, che possono essere fisse, semimobili e mobili a seconda dell’ampiezza del movimento che consentono.

lezione 4 IL SISTEMA MUSCOLARE
Il sistema muscolare è costituito dai muscoli volontari e involontari. I muscoli volontari, cioè che rispondono alla nostra volontà, comprendono i muscoli scheletrici (che consentono il movimento del corpo) e i muscoli cutanei (che si trovano sotto la pelle). I muscoli involontari, che non sono controllati dalla nostra volontà, rivestono gli organi interni, partecipando alla loro funzionalità. Il tessuto muscolare che forma i muscoli, è costituito dalle fibre muscolari, riunite a loro volta in fasci muscolari. Le fibre muscolari sono formate da miofibrille; ogni miofibrilla è formata da due tipi di proteine. I filamenti più sottili sono formati da actina, quelli più grossi da miosina, disposti in unità dette sarcomeri. In base alla disposizione di actina e miosina si distinguono il tessuto striato, con miofibrille parallele, tipiche dei muscoli volontari, e il tessuto liscio, con miofibrille disposte in modo quasi uniforme, tipiche dei muscoli involontari. Fa eccezione il miocardio del cuore, un muscolo involontario che presenta fibre striate. La contrazione muscolare avviene grazie allo scorrimento delle fibre di actina e miosina che alternativamente accorciano o allungano il muscolo. I muscoli si classificano in base all’azione che svolgono: mimici, flessori, rotatori. Si chiamano antagonisti i muscoli che lavorano in modo inverso l’uno rispetto all’altro, come il bicipite e il tricipite che consentono la flessione del braccio.

CON LA MAPPA
Adesso che hai ripassato i contenuti essenziali con la sintesi, prova a completare la mappa con le parole chiave suggerite e a trovare le definizioni corrispondenti. annessi cutanei - apparati - cellula - miofibrille - organi - ossa - tessuto osseo spugnoso - tronco
è suddiviso in
è sostenuto e si muove grazie a

è rivestito esternamente da 7.
che formano un sistema di organi chiamato
12. apparato tegumentario
8. tessuto osseo compatto
contrattili ed elastiche formati da 6. muscoli 9.
a. Costituisce la parte superiore del corpo.
b. Sono gli organi del sistema muscolare.
c. Sono costituiti da organi formati da tessuti differenti.
d. È l’organo più esteso del corpo.
e. Sono formati da cellule specializzate a svolgere la stessa funzione.
14. tessuti ha come unità fondamentale la che forma tipi diversi di organizzati in che formano a loro volta 13. 15.

17. sistemi
2. capo
4. arti
10. pelle
1. IL CORPO UMANO

lezione 1 L’ORGANIZZAZIONE
DEL CORPO UMANO
1 Segna con una crocetta se vero (V) o falso (F).
a. L’unità fondamentale del nostro corpo è la cellula.
b. I tessuti sono formati da cellule diverse.
c. Gli apparati raggruppano organi uguali.
d. Lo stomaco è un organo.
2 Abbina i termini con la definizione corretta.
1. Addome
2. Cinto scapolare
3. Organo
4. Sistema
a È formato da tessuti diversi con funzioni specifiche.
b Parte inferiore del tronco.
c Insieme di organi formati dallo stesso tessuto.
d Collega gli arti superiori al tronco.
1. 2. 3. 4.
3 Scegli la soluzione corretta.
a. L’apparato digerente:
1 permette lo scambio dei gas respiratori.
2 elimina le sostanze di rifiuto.
3 permette il movimento.
4 demolisce gli alimenti e assorbe le sostanze nutritive.
b. Il corpo è suddiviso in:
1 faccia, corpo, arti.
2 capo, tronco, arti.
3 testa, braccia, torace, gambe.
4 capo, torace, addome, arti.
lezione 2 L’APPARATO TEGUMENTARIO
4 Sottolinea il termine corretto tra i due proposti.
a. Nell’epidermide sono presenti terminazioni nervose/cellule adipose
b. Il follicolo del pelo si trova nell’epidermide/ nel derma.
c. Il sebo è una sostanza grassa/acida.
d. La cheratina/Il collagene si trova nei peli.
5 Segna con una crocetta se vero (V) o falso (F).
a. L’epidermide è formata da cellule tutte vive e non contiene melanociti.
b. Il derma contiene vasi sanguigni, recettori sensoriali e follicoli piliferi.
c. L’ipoderma è ricco di tessuto adiposo che protegge dai colpi e aiuta a mantenere il calore.
d. I peli e le unghie sono formati da cellule vive che contengono melanina.
e. Le ghiandole sudoripare aiutano anche a regolare la temperatura corporea producendo sudore.
f. Le ghiandole sebacee producono sebo, che mantiene la pelle morbida e lucente.
6 Abbina i termini con la definizione corretta.
1. Termoregolazione
2. Sintesi
3. Escrezione
4. Sensibilità
a Eliminazione delle sostanze di rifiuto.
b Mantenimento della temperatura corporea costante.
c Capacità di percepire stimoli esterni.
d Capacità della pelle di produrre vitamina D. 1. 2. 3. 4.
lezione 3 IL SISTEMA SCHELETRICO
7 Completa le frasi con il termine corretto.
a. Il tessuto osseo si distingue in tessuto e tessuto spugnoso.
b. Il tessuto osseo è formato dagli immersi in una sostanza formata da e sali minerali che si dispone in .
c. Le ossa lunghe presentano le alle estremità e la nella parte centrale.
d. Nelle epifisi si trova il midollo osseo , nella diafisi il midollo osseo
8 Abbina i termini con la definizione corretta.
1. Protezione
2. Riserva
3. Sostegno
4. Produzione
a Funzione che determina la struttura del corpo.
b Funzione delle ossa che circondano cuore, polmoni e cervello.
c Funzione svolta dal midollo rosso.
d Funzione svolta dalle ossa che immagazzinano sali minerali.
lezione 4 IL SISTEMA MUSCOLARE
10 Segna con una crocetta se vero (V) o falso (F).
a. Le fibre muscolari sono composte da miofibrille.
b. I muscoli si distinguono in lisci e involontari.
c. Le fibre muscolari sono contrattili ed elastiche.
d. Il tessuto muscolare del cuore si chiama miocardio.
11 Scegli la soluzione corretta.
a. Le miofibrille:
1 sono formate da fibre muscolari.
2 sono formate da filamenti di actina e miosina.
3 sono presenti solo nei muscoli volontari.
4 sono presenti solo nei muscoli involontari.
b. Qual è il funzionamento corretto dei muscoli antagonisti?

1. 2. 3. 4.
9 Osserva il disegno e inserisci accanto a ogni termine il numero corrispondente.



1 Si contraggono simultaneamente.
2 Si rilassano simultaneamente.
3 Quando uno si contrae l’altro si rilassa.
4 Lavorano in modo indipendente.
12 Abbina ogni termine con la definizione corretta.
1. Muscoli scheletrici
2. Muscoli mimici
3. Muscoli volontari
4. Muscoli lisci
a Danno espressione al viso.
a. Tibia
b. Femore
c. Rotula

d. Menischi
e. Legamento del femore
f. Legamento della rotula

b Sono formati da actina e miosina disposte irregolarmente.
c Si collegano alle ossa mediante i tendini.
d Lavorano rispondendo alla nostra volontà.
1. 2. 3. 4.
RICONOSCERE MODELLI
1 Scrivi accanto a ogni immagine il tipo di osso rappresentato.



Rispondi alle domande.
In una delle immagini è rappresentato il cranio.
a. Come si chiamano le linee tratteggiate che collegano le ossa del cranio?
b. Che tipo di articolazioni sono?
2 Scrivi accanto a ogni immagine il tipo di tessuto muscolare rappresentato.


Rispondi alle domande.
a. Quali sono le caratteristiche comuni ai due tessuti muscolari?
COMPLETARE MODELLI
3 Completa l’immagine inserendo i termini corretti.

Descrivi le caratteristiche dei tre strati che compongono la pelle.
Epidermide
b. Quali elementi li distinguono?
c. Dove si trovano principalmente i due tessuti?
Derma
Ipoderma
4 Metti in ordine di complessità crescente i disegni che rappresentano i livelli di organizzazione del corpo umano.




SPIEGARE I FENOMENI
5 Riconosci il fenomeno rappresentato nell’immagine e spiegalo con le tue parole.
6 Nell’immagine è rappresentata l’azione di due muscoli. Spiega di che cosa si tratta rispondendo alle domande.

a. Che cosa mostra la figura?
TRARRE INFORMAZIONI DA UN TESTO E FORMULARE IPOTESI
7 Leggi il brano. SUPERMUSCOLI
Nei laboratori del NanoTech Institute dell’Università del Texas sono stati creati muscoli capaci di sollevare carichi 100 volte più pesanti rispetto a quelli sostenuti da muscoli umani di pari dimensioni, e sono stati costruiti a partire da un materiale che costa pochissimo: il polimero di nylon o polietilene. Sono state usate diverse combinazioni di nylon e polietilene, creando molle semplici o strutture più complesse, alcune simili a reti.
Le reti, per esempio, potrebbero essere integrate nei tessuti dei vestiti: il calore farebbe dilatare le maglie permettendo una maggiore traspirazione della pelle quando fa caldo, mentre al freddo la trama resterebbe compatta. Soprattutto, però, i muscoli artificiali potrebbero essere usati per costruire robot umanoidi oppure protesi sempre più simili agli arti umani e potrebbero rendere più “forzuti” gli esoscheletri, strutture meccaniche mobili che, una volta indossate, aiutano chi ha difficoltà a muoversi.
Rispondi alle domande e svolgi le attività proposte da solo o con la classe.
a. Qual è la caratteristica più importante dei muscoli di cui si occupa l’articolo?
b. Quali muscoli sono stati presi a modello?
c. Con quale materiale sono stati costruiti?
d. Perché queste strutture sono vantaggiose?
Intelligenza
b. Quali azioni mostra?
c. Quale muscolo si contrae nella figura a?
d. Quale muscolo si contrae nella figura b?
Con l’aiuto dell’insegnante chiedi a uno chatbot di intelligenza artificiale di realizzare una ricerca di storie di atleti paralimpici che hanno raggiunto grandi traguardi. Per ognuno degli atleti che scegli, realizza una scheda rispondendo alle seguenti domande:
Chi è? Come ha affrontato la sua disabilità? Quali sfide ha superato? Quali sono i suoi successi più importanti? Quali sono le protesi o le tecnologie che usa? Illustra ogni scheda con le foto più belle dei tuoi campioni.

HOW MANY ORGANS ARE THERE IN THE
HUMAN BODY ?
Scientists have been studying the body for thousands of years, but today there are still different answers to this question. The number of organs within our bodies depends on how we count them, explains Lisa M.J. Lee, associate professor of cell and developmental biology at the University of Colorado in Denver. In general, Lee explains that organs are collections of tissues that work together for a common goal, and each provides a function for human performance or for survival itself. Only five organs, however, are absolutely necessary: the brain, heart, liver, at least one kidney and at least one lung are essential. Losing the full function of one of these organs results in death. And every now and then, evolution also lends a hand in making us discover something new. Recently, biologists discovered a new blood vessel that runs along our arms: it is a vein that generally forms in the foetal phase and disappears after about eight weeks after birth. The tendency to disappear, however, is decreasing, and the vein is remaining in an increasing number of people in adulthood. In addition, scientists have discovered a new group of salivary glands inside our head, at the meeting point between the nasal cavity and the throat. These new findings confirm that the number of organs in our body is not definitive.
lossario
TISSUES tessuti
BLOOD VESSEL vaso sanguigno
RUNS ALONG scorre lungo
VEIN vena
COMPREHENSION EXERCISES
Read the text and answer the questions.
a. How many organs are there?
b. What is Dr Lee’s definition of an organ?
c. What are the indispensable organs?



L’alimentazione unità
lezione 1
LA NUTRIZIONE
lezione 2
I NUTRIENTI energetici
lezione 3
i NUTRIENTI PLASTICI
lezione 4
i NUTRIENTI BIOREGOLATORI
EDUCAZIONE CIVICA
I disturbi alimentari
lezione EDUCAZIONE CIVICA 5
L’aLIMENTAZIONE SOSTENIBILE

LEZIONI


BUONE NOTIZIE PER IL FUTURO
Cereali antichi e nuove foglie da insalata
Delle 30000 specie di piante potenzialmente commestibili, ne coltiviamo appena 200. In termini di agrobiodiversità, il dato è preoccupante: in molte aree del pianeta le condizioni climatiche impediscono la coltivazione di questi vegetali e questo costringe i paesi a indebitarsi per importare derrate alimentari per le esigenze della popolazione.
Negli ultimi anni è stata potenziata la ricerca in ambito agroalimentare per individuare nuove piante commestibili in grado di sopportare condizioni estreme di aridità e di temperature elevate e favorire lo sviluppo di produzioni agricole che possano sfamare le popolazioni locali. Un esempio è il fonio, un antichissimo cereale coltivato da millenni nelle zone rurali del Senegal che si sta facendo conoscere anche in Europa: è un cereale senza glutine, quindi adatto a chi è affetto da celiachia, contiene quattro volte le proteine e quasi il doppio del ferro del riso integrale e ha un basso indice che lo rende adatto alla dieta dei diabetici.
Anche il cactus Opuntia ficus-indica, più noto come fico d’india, potrebbe presto arrivare sulle nostre tavole sotto forma di nopal: si tratta delle pale della pianta che, opportunamente ripulite delle spine, potremo cuocere alla griglia o aggiungere alle nostre insalate.


C’è una dieta per supereroi
La nutrizione lezione 1
CARTA PENNA COMPUTER


Esplora l’oggetto interattivo e scrivi le risposte sul quaderno.
La disponibilità di cibo nel Nord e nel Sud del mondo
1. Che cosa distingue i paesi che appartengono al Nord del mondo da quelli del Sud?
2. Quale continente appartiene al Nord del mondo, anche se si trova a sud dell’Equatore?
3. In quale continente è più grave il problema della fame?
4. Che cosa significa “malnutrizione cronica”?
5. Quali sono le conseguenze più gravi della malnutrizione sull’organismo?
6. Spiega con parole tue la differenza tra “fame” e “malnutrizione”.
1 Energia per la vita
1 Gli obiettivi n. 2 e 3 dell’Agenda 2030.
OBIETTIVO 2
Fame zero
Porre fine alla fame, raggiungere la sicurezza alimentare, migliorare la nutrizione e promuovere l’agricoltura sostenibile.
Il 16 ottobre di ogni anno si celebra la Giornata mondiale dell’alimentazione per ricordare la fondazione, avvenuta nel 1945, della FAO, l’Organizzazione delle Nazioni Unite per l’alimentazione e l’agricoltura, che si occupa di temi legati al cibo e all’alimentazione a livello globale. In un mondo che si deve preparare a nutrire quasi 10 miliardi di persone nel 2050, la FAO ha individuato cinque direttrici principali su cui muoversi per raggiungere gli obiettivi n. 2 e 3 dell’Agenda 2030, che ribadiscono l’impegno di tutte le nazioni nel porre fine alla fame e garantire a tutti gli esseri umani salute e benessere 1 Le cinque direttrici sono le seguenti:
1. garantire a tutti l’accesso costante e la disponibilità di cibi sani e nutrienti;
2. convertire i modelli di consumo alla sostenibilità, rafforzando l’ottimizzazione della filiera e il riciclo delle risorse alimentari;
3. limitare gli impatti negativi della produzione sull’ambiente, ottimizzando l’uso delle risorse e sfruttando tecnologie innovative;
4. promuovere condizioni di vita eque e giuste, favorendo una piena e dignitosa occupazione;
5. creare sistemi resilienti, capaci di funzionare costantemente e resistere, anche in condizioni di forte instabilità.
OBIETTIVO 3
Salute e benessere
Assicurare la salute e il benessere per tutti e per tutte le età.
Secondo le stime della FAO, 46 paesi non raggiungeranno entro il 2030 un livello di fame basso, mentre sono 44 le nazioni con livelli di fame gravi o allarmanti. Ogni anno viene aggiornato l’indice globale della fame, uno strumento statistico che serve a misurare la fame e la malnutrizione nei diversi paesi del mondo utilizzando come indicatori il deperimento e l’arresto della crescita infantile e il tasso di mortalità dei bambini sotto i cinque anni 2 .
La disponibilità di cibo e acqua è minacciata dai cambiamenti climatici e dai frequenti eventi meteorologici estremi che si registrano sempre più spesso. A questo si aggiungono le guerre in atto sul pianeta: su 193 milioni di persone esposte a conflitti, 139 hanno vissuto condizioni di insicurezza alimentare.
La ricerca di Hasler

Dati non disponibili
2 Perché ci nutriamo
Gli strumenti posti sul cruscotto di un’automobile forniscono tutte le informazioni che ci servono per viaggiare in sicurezza. Gli indicatori segnalano il livello del carburante, la quantità dell’olio lubrificante e del liquido del sistema frenante; se si accende una spia significa che è necessario rifornire l’auto di ciò che manca per svolgere quella specifica funzione. Una situazione simile accade nel nostro organismo: gli stimoli della fame e della sete ci segnalano che è ora di introdurre nel nostro corpo gli alimenti, solidi e liquidi, che ci permettono di sopravvivere, crescere e mantenerci in salute.
Un’alimentazione completa e regolare fornisce al nostro organismo tutte le sostanze di cui abbiamo bisogno. Queste sostanze vengono assorbite e trasformate dal nostro corpo nell’energia necessaria per attivare le reazioni chimiche che tengono in vita le nostre cellule, come respirare, accrescersi, produrre sostanze di rifiuto. L’insieme di tutte queste reazioni che avvengono nell’organismo prende il nome di metabolismo
3 C’è dieta e dieta
Ogni giorno sentiamo parlare di diete: mediterranea, vegetariana, vegana, macrobiotica e molte altre ancora 3 . In genere si tratta di regimi alimentari che hanno come scopo la perdita di peso, ma negli ultimi anni si è andata diffondendo l’idea che il nostro modo di alimentarci abbia un impatto diretto sugli animali e, in generale, sull’ambiente.
2 Indice globale della fame al 2023 (fonte Welthungerhilfe).
È la dieta basata sulla tradizione alimentare dei paesi mediterranei. È povera di carne e di grassi animali ed è ricca di ortaggi, frutta, olio d’oliva e cibi derivati dai cereali, come pane e pasta. È una dieta che previene l’obesità, il diabete e le malattie dell’apparato cardiocircolatorio.

È una dieta costituita per la maggior parte da ortaggi, legumi, cereali e frutta. Elimina tutte le carni, anche il pesce, e prevede solo il consumo di uova e derivati del latte. Produce alcuni benefici per l’organismo, per esempio protegge dall’infarto, ma bisogna che sia ben bilanciata e variata.

3 Diete a confronto.
È una dieta costituita soltanto da alimenti vegetali ed elimina completamente i cibi d’origine animale, compresi latte e uova. È molto restrittiva e richiede il consumo giornaliero di legumi diversi per non rischiare di ammalarsi per carenza di proteine.

DIETA MEDITERRANEA
DIETA VEGETARIANA
DIETA VEGANA
Moderato

4 La piramide alimentare.
Dal punto di vista scientifico, però, il termine “dieta” ha un significato ben preciso.
Una dieta è un regime alimentare equilibrato; fornisce tutte le sostanze di cui è fatto l’organismo e tutta l’energia necessaria per mantenerci in vita e permetterci di svolgere le attività quotidiane.
Le autorità sanitarie forniscono delle indicazioni sul modo di nutrirsi, ma in generale una dieta sana ed equilibrata deve essere variata, comprendere diversi tipi di cibi e rispondere alle esigenze personali di ciascuno di noi. È comunque importante consumare ogni giorno cibi freschi, in particolare frutta e verdura, e privilegiare pietanze cucinate in casa perché i cibi confezionati dalle industrie alimentari contengono quantità più o meno elevate di sostanze conservanti e coloranti che possono danneggiare la salute.
Una dieta equilibrata dovrebbe corrispondere alle indicazioni riportate nella piramide alimentare, un grafico che pone alla base gli alimenti di consumo quotidiano e al vertice i cibi che dovrebbero essere mangiati solo occasionalmente 4 . Per molti di noi, abituati alla dieta mediterranea, questa piramide non è una novità e si adatta bene alla nostra tradizione alimentare, nella quale i carboidrati e i grassi d’origine vegetale, specialmente l’olio d’oliva, sono da sempre tra gli alimenti quotidiani. È bene notare, però, che oggi si consiglia il consumo dei cereali integrali al posto di quelli raffinati, perché apportano fibre vegetali e sali minerali. Per mantenersi in buona salute, inoltre, è necessario bere da 6 a 10 bicchieri di acqua al giorno e svolgere un’attività fisica regolare.
condimenti, olio e grassi 2-3 porzioni al giorno
carne, pesce, uova, legumi e salumi 1-2 porzioni al giorno
latte, yogurt e formaggi 2-3 porzioni al giorno
frutta e ortaggi 5-6 porzioni al giorno
pane, pasta, riso, biscotti e patate 4-5 porzioni al giorno
• non dimentichiamoci dei legumi e della frutta secca: bastano piccole porzioni 1-3 volte al giorno
• pesce, pollo e uova possono essere consumati alternativamente per 3 volte a settimana, così come i formaggi, che sono ricchi di calcio
• complessivamente, frutta e verdura devono essere consumate nell’ordine di 5-6 porzioni al giorno
• è necessario assumere cereali integrali e grassi vegetali a ogni pasto
• 6-10 bicchieri d’acqua
Piramidi alimentari a confronto
4 Il fabbisogno energetico
Per compiere le funzioni vitali e svolgere al meglio tutte le attività quotidiane abbiamo bisogno di una certa quantità di energia, che si chiama fabbisogno energetico giornaliero. L’energia che serve al nostro organismo viene misurata in kilocalorie (kcal).
Una kilocaloria è la quantità di energia necessaria per innalzare la temperatura di 1 litro d’acqua distillata da 14,5 °C a 15,5 °C.
La kilocaloria è un’unità di misura molto usata sulle etichette nutrizionali degli alimenti confezionati; spesso il valore energetico dell’alimento è riportato anche in kilojoule (kJ). Il fabbisogno energetico giornaliero varia da persona a persona perché dipende da diversi fattori, come il peso, la statura, l’età, il sesso, le condizioni dell’organismo, il tipo di attività svolta e persino il clima dell’ambiente in cui si vive 5 . Per esempio, per un ragazzo di 14 anni è di circa 2700 kcal, mentre quello di una ragazza della stessa età è di circa 2500 kcal. Questi valori possono variare a seconda dell’attività fisica. Se, per esempio, un ragazzo pratica uno sport, va in bicicletta, corre o semplicemente cammina a passo sostenuto, aumenta notevolmente il suo consumo di energia. Una persona adulta che svolge un lavoro fisicamente impegnativo ha bisogno quotidianamente di circa 3500 kcal, mentre chi svolge un lavoro sedentario necessita di 2000-2500 kcal. Consumiamo energia anche quando non facciamo sforzi fisici, perché le cellule lavorano per compiere le funzioni che ci tengono in vita. Per esempio, un uomo di 30 anni, alto 175 cm e il cui peso è di 70 kg, completamente a riposo, a digiuno e in un ambiente con temperatura costante di 20 °C, consuma in un giorno 1700 kcal.
La quantità minima di energia che serve a una persona per sopravvivere costituisce il metabolismo basale.
Il metabolismo basale rappresenta il minimo di energia indispensabile all’organismo per svolgere le funzioni vitali.
FISSA I CONTENUTI ESSENZIALI
Segna con una crocetta se vero (V) o falso (F).
1. Una dieta è un regime alimentare equilibrato.
2. L’alimentazione serve per aumentare di peso.
3. La kilocaloria misura la quantità di cibo che serve all’organismo.
4. Il metabolismo basale è il minimo di energia utile per le funzioni vitali.
5 Fabbisogno energetico giornaliero per alcune categorie di persone.
I nutrienti energetici lezione 2
LAB STEM
IL TEST DELL’AMIDO
L’amido è un polisaccaride che nelle piante ha funzione di riserva energetica. Si accumula nei tuberi e nei semi, soprattutto quelli dei cereali. Realizza questo esperimento per riconoscere la presenza dell’amido nei cibi.
■ REALIZZA L’ESPERIMENTO
MATERIALI
• tintura di iodio
• piattini di ceramica
• contagocce
• amido in polvere
• pane, biscotti, una mela, una patata, una fetta di prosciutto
• acqua
• becher














PROCEDIMENTO
1. Versa nel becher 5 gocce di tintura di iodio e aggiungi acqua fino a quando raggiunge il livello di 2 cm.
2. Versa in un piattino un po’ di amido in polvere, unendo qualche goccia di acqua e tintura di iodio.
3. Riduci in pezzetti gli altri alimenti che hai a disposizione e ripeti l’operazione.
■ OSSERVA E RISPONDI
1. Che cosa è successo quando hai versato la soluzione di acqua e tintura di iodio sull’amido? Si è presentato lo stesso fenomeno anche con gli altri alimenti?
2. Che cosa puoi dedurre dalle tue osservazioni?
3. Perché il prosciutto non reagisce come gli altri alimenti?
4. Scrivi la relazione dell’esperimento.
LAB STEM
L’AZIONE DELLA
PTIALINA SULL’AMIDO
SKILL BOOK
1 I nutrienti
Quando parliamo di alimenti ci riferiamo a tutte quelle sostanze che formano i cibi che mangiamo, per esempio la farina, l’olio, il formaggio, le verdure.
Le sostanze chimiche che li compongono sono chiamate nutrienti o principi nutritivi. • I carboidrati e i grassi sono principi nutritivi con funzione energetica: sono il carburante delle cellule perché dalla loro “combustione” si libera la maggior parte dell’energia di cui abbiamo bisogno.
• Le proteine sono principi nutritivi plastici e regolatori: sono i “mattoni” dell’organismo, i costituenti principali della cellula e controllano tutte le reazioni chimiche che ci mantengono in vita.
• Le vitamine e i sali minerali hanno funzione equilibratrice e protettiva; entrano in piccole quantità nell’alimentazione ma sono fondamentali per mantenerci in buona salute
2 I carboidrati
I carboidrati (chiamati anche zuccheri o glucidi) sono la principale fonte di energia dell’organismo: sono un “carburante” molto efficiente perché le nostre cellule sono in grado di ricavare velocemente l’energia che essi contengono.
I carboidrati sono sostanze organiche formate da tre tipi di atomi: carbonio, idrogeno e ossigeno. A seconda della complessità della loro struttura, vengono suddivisi in tre gruppi: monosaccaridi, disaccaridi e polisaccaridi.
• I monosaccaridi sono formati da un’unica molecola. Sono esempi di monosaccaridi il glucosio, il fruttosio e il galattosio 1 .
• I disaccaridi si formano dall’unione di due monosaccaridi. I più importanti sono il saccarosio e il lattosio 2 .
1 Monosaccaridi.


C (carbonio)
H (idrogeno)
O (ossigeno)

2 Disaccaridi.
Il glucosio è lo zucchero prodotto dal processo di fotosintesi che avviene nelle foglie e nelle parti verdi dei vegetali.
C (carbonio)
Il saccarosio è formato da una molecola di glucosio e da una di fruttosio. È il componente dello zucchero che usiamo per dolcificare; viene estratto dalla barbabietola oppure dalla canna da zucchero.
H (idrogeno)
O (ossigeno)

Il fruttosio è contenuto nella frutta zuccherina, per esempio nell’uva matura, nelle banane e nei fichi; è uno degli zuccheri presenti nel miele.




Il lattosio, risultato dell’unione di galattosio e glucosio, è responsabile del sapore dolce del latte.



3 Polisaccaridi.
L’amido è la sostanza di riserva energetica per le piante. Si accumula nei tuberi, per esempio nelle patate, e nei semi, in particolare quelli dei cereali dai quali si ricavano le farine per pane, pasta e biscotti.
• Quando molte molecole di monosaccaridi si legano tra loro si forma un polisaccaride. L’amido, la cellulosa e il glicogeno sono polisaccaridi formati da lunghe catene di molecole di glucosio 3 .


La cellulosa forma la parete delle cellule vegetali. È il polisaccaride che costituisce le fibre naturali, come quelle presenti nelle foglie e nella frutta.
Il glicogeno è il materiale energetico di riserva per gli animali (compreso l’essere umano); si accumula nel fegato. È anche il principale componente dei funghi.

3
I grassi
I grassi (chiamati anche lipidi ) sono molecole formate da atomi di carbonio, idrogeno e ossigeno. Svolgono funzione energetica , proprio come gli zuccheri: tuttavia, a parità di peso, i grassi liberano molta più energia.
I grassi sono le sostanze di riserva degli organismi. Si accumulano sotto forma di trigliceridi nelle cellule che costituiscono il tessuto adiposo degli animali, formando uno strato che isola gli organi dal freddo e li protegge. I trigliceridi sono formati da una molecola di glicerolo e da tre molecole di acidi grassi, che possono essere uguali o diverse. Quando è presente un doppio legame la molecola di acido grasso non è perfettamente distesa, ma piegata 4 . I grassi sono anche sostanze plastiche: i fosfolipidi sono i principali costituenti delle membrane cellulari e delle cellule che formano il tessuto nervoso.
Nella nostra alimentazione introduciamo grassi saturi di origine animale, presenti in alimenti come burro, panna, mascarpone, lardo e carni grasse. I grassi saturi presentano nelle loro molecole legami semplici tra un atomo di carbonio e l’altro; questa struttura li rende solidi a temperatura ambiente.
4 La molecola dei trigliceridi.
Gli esperti di alimentazione consigliano di limitare il consumo di grassi saturi perché questi possono depositarsi sulla parete dei vasi sanguigni e creare problemi alla circolazione del sangue.
I grassi insaturi sono di origine vegetale e sono caratterizzati da almeno un doppio legame tra gli atomi di carbonio; si presentano sotto forma di oli perché sono liquidi a temperatura ambiente. Sono preferibili rispetto ai grassi saturi ma con il calore possono subire processi di ossidazione e produrre sostanze tossiche. Per evitare questo problema devono essere utilizzati una sola volta per cuocere i cibi e poi smaltiti come oli esausti. I grassi insaturi sono contenuti nell’olio di oliva, negli oli di semi, nell’olio di pesce e nella margarina 5 .
5 Fonti di grassi insaturi.

FISSA I CONTENUTI ESSENZIALI
Sottolinea il termine corretto tra i due proposti.
1. L’amido è un disaccaride/polisaccaride.
Chi detiene il record mondiale del fabbisogno energetico più alto?
Da vari studi risulterebbe che il record per il consumo calorico giornaliero è detenuto dai taglialegna canadesi: può arrivare fino a 7.000 kcal al giorno! Le cause sono il clima particolarmente rigido degli inverni canadesi, che richiede al corpo umano un dispendio energetico molto elevato per mantenere la temperatura corporea, e l’attività manuale molto impegnativa. I taglialegna, inoltre, sono di corporatura robusta e hanno un metabolismo basale (BMR) più alto a causa della loro massa muscolare.
2. Le molecole di glucosio/glicogeno sono le riserve energetiche dell’organismo.
3. Il fruttosio è un monosaccaride/disaccaride.
4. L’olio di oliva è una fonte di grassi saturi/insaturi
VERSO LE COMPETENZE
Scrivi una breve didascalia per ogni immagine con il nome dello zucchero contenuto nel cibo rappresentato e le sue caratteristiche.



I nutrienti plastici lezione 3
LAB STEM
ALLA RICERCA DELLE PROTEINE
Quando mangiamo, le proteine che introduciamo con il cibo sono “smontate” nelle molecole che le compongono. Queste sono poi usate per costruire le proteine che costituiscono il nostro corpo. Le proteine sono contenute in tutti i cibi? Verifichiamolo con questo esperimento.
■ REALIZZA L’ESPERIMENTO
MATERIALI
• provette o piccoli recipienti di vetro
• soluzione di idrossido di sodio al 10%
• soluzione di solfato di rame all’1%
• latte, un pezzetto di prosciutto, un pezzo di formaggio, un po’ di pane, acqua
• contagocce





La struttura di un amminoacido.
PROCEDIMENTO
1. Riduci in piccolissimi pezzi gli alimenti solidi.
2. Metti in ogni provetta un alimento diverso.
3. Aggiungi un po’ d’acqua alle provette con gli alimenti solidi.
4. Aggiungi due gocce di idrossido di sodio e due o tre gocce di solfato di rame in ogni provetta.
■ OSSERVA E RISPONDI
1. Che colore ha assunto il contenuto delle varie provette?
2. Tra gli alimenti considerati alcuni contengono sicuramente proteine. Di che colore sono?
3. Nella provetta con il pane quale colore osservi? Pensi che ci siano proteine?
4. Quale colore osservi nella provetta con acqua?
5. Scrivi la relazione dell’esperimento.
1 Le proteine
Le proteine sono i componenti essenziali di tutte le cellule; sono anche le sostanze organiche più abbondanti nel corpo umano. Sono formate da numerose unità più piccole, gli amminoacidi, legate l’una all’altra a formare una catena. Gli amminoacidi sono a loro volta costituiti da quattro elementi: carbonio, idrogeno, ossigeno e azoto 1


gruppo di atomi caratteristico di ogni amminoacido

N (azoto) H (idrogeno) O (ossigeno) C (carbonio)

In natura esistono appena 20 tipi di amminoacidi, che riescono a formare migliaia di proteine diverse. Per capire come questo sia possibile, paragoniamo gli amminoacidi a 20 perline di colore diverso: le collane che si possono ottenere sono infinite, in quanto possono essere diverse per il numero di perline, per la loro posizione all’interno della collana e per le perline dello stesso colore che le compongono. La “collana” di amminoacidi può ripiegarsi su se stessa diventando, per esempio, un’elica o un nastro, che può ulteriormente ripiegarsi e prendere una forma tridimensionale più o meno complessa, che permette alle diverse proteine di svolgere la loro funzione 2 . La carne, il pesce e le uova sono cibi ricchi di proteine di origine animale; i legumi e i cereali contengono proteine di origine vegetale 3
a. La sequenza degli amminoacidi in una proteina si chiama struttura primaria
Leu
Leu
Glu

Asn
Tyr
Cys
struttura primaria
c. La struttura terziaria descrive la posizione della catena di amminoacidi nelle tre dimensioni dello spazio: essa infatti si può ripiegare su se stessa assumendo una struttura globulare.

La struttura delle proteine
2 La struttura delle proteine.






struttura secondaria a elica
struttura terziaria
b. La struttura secondaria descrive come è disposta nello spazio la successione degli amminoacidi. Questa si può avvolgere a spirale (struttura a elica), oppure formare come dei foglietti pieghettati (struttura a foglietti).















struttura quaternaria
d. La struttura quaternaria è determinata dall’unione di più catene che formano una proteina.
3 Alcuni alimenti che contengono proteine.
acido aspartico Asp acido glutammico Glu
arginina Arg
istidina His lisina * Lys
asparagina Asn
cisteina Cys
glutammina Gln
tirosina Tyr
glicina Gly
serina Ser
treonina * Thr
alanina Ala
isoleucina * Ile
leucina * Leu
metionina * Met
prolina Pro
triptofano * Trp
valina * Val
fenilalanina * Phe * amminoacidi essenziali
1 Tab. I 20 amminoacidi e le loro sigle.
2 Gli amminoacidi non sono tutti uguali
Dei 20 amminoacidi esistenti in natura, il nostro organismo è in grado di produrne soltanto 12. Ai restanti 8 amminoacidi è stato dato il nome di amminoacidi essenziali, in quanto l’organismo li può ricavare soltanto dagli alimenti che introduce con la dieta: sono valina, leucina, isoleucina, metionina, fenilalanina, triptofano, treonina e lisina 1 Tab. Il valore biologico di una proteina dipende proprio dal suo contenuto di amminoacidi essenziali. Le proteine di origine animale hanno un elevato valore biologico, mentre le proteine vegetali hanno generalmente un valore biologico minore in quanto carenti o del tutto prive di amminoacidi essenziali. Normalmente il nostro corpo assorbe il 97% delle proteine di origine animale e il 78% di quelle di origine vegetale: esse forniscono 4,35 kcal per grammo.
Se ogni giorno consumiamo una razione di alimenti di origine animale come uova, pesce, carne, latte e derivati, forniamo al nostro organismo una quantità più che sufficiente di amminoacidi essenziali.
La stessa cosa non avviene se mangiamo un solo tipo di alimento di origine vegetale: per esempio, i cereali contengono metionina e cisteina ma sono privi di lisina, mentre i legumi contengono molta lisina e poca metionina e cisteina.
Se decidiamo di seguire una dieta prevalentemente vegetariana, dobbiamo prevedere l’integrazione di cereali e legumi che, se consumati insieme ogni giorno, possono soddisfare il nostro fabbisogno di amminoacidi essenziali.
In caso di carenza di uno o più amminoacidi essenziali, il nostro organismo va incontro a disturbi di vario genere, dalla caduta dei capelli all’insonnia, fino a forme di anemia nei casi più gravi.
Anche un’eccessiva introduzione di amminoacidi essenziali di origine animale causa gravissimi problemi. Hamburger, dolci e merendine sono alla base dell’obesità e delle malattie dell’apparato cardiocircolatorio che affliggono le popolazioni dei paesi più ricchi, compreso il nostro.
3 Le funzioni delle proteine
Le proteine sono nutrienti particolarmente importanti per le diverse funzioni che svolgono nel nostro corpo e in quello di tutti gli esseri viventi.
Le proteine con funzione strutturale (o plastica) sono presenti soprattutto nei tessuti connettivi, per esempio quelli delle ossa, della pelle, dei muscoli e dei capelli 4 a
Le proteine con funzione enzimatica intervengono nelle reazioni chimiche che tengono in vita le cellule, regolando la loro velocità. Senza le proteine enzimatiche, le reazioni fondamentali di molti processi del metabolismo, per esempio quelle che occorrono durante la digestione, non potrebbero mai avvenire 4 b .
Le proteine che svolgono una funzione immunitaria sono gli anticorpi: essi difendono l’organismo dagli attacchi di agenti patogeni di diversa natura 4 c
Le proteine con funzione di trasporto hanno il compito di legarsi a specifiche sostanze e trasportarle nell’organismo: è il caso dell’emoglobina del sangue, una proteina che si lega all’ossigeno e lo trasporta ai diversi tessuti del corpo 4 d
Le proteine, inoltre, sono depositarie del codice genetico contenuto nel nucleo delle cellule, sono un aiuto nel passaggio di informazioni nel corpo, sono alla base di sostanze indispensabili prodotte da alcune ghiandole e intervengono nella contrazione muscolare (actina e miosina sono proteine).

Le proteine sono soggette a un continuo processo di demolizione e ricostruzione chiamato turnover proteico, attraverso il quale l’organismo è in grado di rinnovare continuamente le parti logorate. Questo processo permette poi di rimpiazzare gli amminoacidi utilizzati a scopo energetico durante un’attività fisica intensa e depositarne di nuovi: giornalmente si degradano 30-40 g di proteine che devono essere assicurate all’organismo attraverso un’opportuna dieta.

Una proteina con funzione plastica
Rappresentazione grafica di una proteina che fa parte di una struttura connettiva.
4 Le funzioni delle proteine. b c d

Una proteina con funzione enzimatica
Rappresentazione grafica tridimensionale dell’amilasi salivare, una proteina contenuta nella saliva. Il suo compito è demolire gli amidi in piccoli frammenti.
Proteine con funzione immunitaria
I linfociti T sono proteine in grado di riconoscere e distruggere le cellule dell’organismo colpite da un’infezione.




C’è un modo per conoscere come sono fatte tutte le proteine?
Certamente, oggi è possibile grazie all’Intelligenza Artificiale!
Una proteina con funzione di trasporto
La molecola dell’emoglobina è costituita da quattro subunità, all’interno delle quali si trova un atomo di ferro. In rosso sono indicati i gruppi di atomi che contengono ferro.

Demis Hassabis e John Jumper sono stati insigniti del premio Nobel per aver creato alphafold, un sistema di intelligenza artificiale in grado di prevedere la struttura di quasi tutte le 200 milioni di proteine esistenti. Grazie alle previsioni di alphafold, rese disponibili gratuitamente, scienziati e scienziate di tutto il mondo hanno potuto comprendere i meccanismi cellulari alla base della resistenza agli antibiotici, creare tecnologie per lo sviluppo di nuovi farmaci, studiare la trasmissione di numerose malattie, come la malaria.
FISSA I CONTENUTI ESSENZIALI
Segna con una crocetta se vero (V) o falso (F).

1. Le proteine sono formate da catene di amminoacidi.
2. Gli amminoacidi esistenti in natura sono 12.
3. Le proteine con funzione strutturale costruiscono i tessuti.
4. Le proteine possono anche essere di origine vegetale.
MATERIALI
• una confezione di fecola di patate
• tintura di iodio
• un limone
• piccole quantità di succhi di frutta e bibite gassate
• bilancia da cucina
• acqua calda
• una ciotola
• un bicchiere
• contagocce
• alcune provette









I nutrienti bioregolatori
LAB STEM
ALLA RICERCA DELLA VITAMINA C
La vitamina C è un fattore essenziale nella nostra alimentazione e il limone, insieme a tutti gli agrumi, al kiwi e al prezzemolo, ne è particolarmente ricco. Prova a realizzare un semplice esperimento per individuare la presenza di vitamina C nel limone e nelle bevande che consumi ogni giorno.
■ REALIZZA L’ESPERIMENTO
PROCEDIMENTO
1. Versa nella ciotola 100 ml di acqua calda.
2. Pesa 200 mg di fecola di patate e scioglili nell’acqua.
3. Versa 10 ml d’acqua nel bicchiere e aggiungi con il contagocce 3-4 gocce di tintura di iodio.
4. Versa in ciascuna delle provette 5 ml di soluzione acquosa di fecola e aggiungi qualche goccia della soluzione di iodio; il liquido assumerà una colorazione blu-violetta.
5. Aggiungi qualche goccia di succo di limone in una delle provette e osserva che cosa succede.
6. Ripeti l’operazione versando nelle altre provette alcune gocce delle bevande che hai scelto.
■ OSSERVA E RISPONDI
1. Come diventa la soluzione di fecola e tintura di iodio quando aggiungi il succo di limone?
2. Che cosa succede quando aggiungi qualche goccia di aranciata al contenuto di una provetta?
3. Quali delle bevande che hai scelto non provocano lo stesso effetto?
4. Scrivi la relazione dell’esperimento.
L’acqua, componente fondamentale del nostro corpo
Tutti gli esseri viventi sono fatti d’acqua: il 95% del corpo di una medusa e di un frutto di pomodoro è costituito da acqua, mentre nei semi di girasole ce n’è solo il 5%. Poca o tanta che sia, l’acqua è comunque una sostanza indispensabile e insostituibile, perché senza di essa non potrebbero avvenire tutte quelle reazioni chimiche che tengono in vita gli organismi.
L’acqua è il principale componente delle cellule e dei diversi liquidi presenti nel nostro organismo, quali il sangue, la saliva, il succo gastrico e la linfa; in un uomo adulto di 70 kg vi sono ben 45 kg di acqua!
L’acqua assicura l’equilibrio termico e mantiene costante la composizione dei liquidi del corpo, consente l’assorbimento, il trasporto e l’utilizzo dei nutrienti e favorisce l’eliminazione dei prodotti di rifiuto. Inoltre, contribuisce a mantenere la forma e il volume degli organi. Essa rappresenta il più essenziale e il più indispensabile alimento per il nostro organismo 1 . Ogni giorno perdiamo circa 2,5 litri d’acqua attraverso l’urina, le feci, il sudore e la respirazione. Quest’acqua deve essere rifornita all’organismo attraverso le bevande e l’alimentazione, specialmente mangiando cibi che ne sono ricchi, come frutta e ortaggi.
2 Le vitamine
1 Rifornire d’acqua l’organismo.

Le vitamine sono presenti nell’organismo in piccolissime quantità, ma sono sostanze insostituibili e indispensabili perché intervengono in funzioni molto complesse: facilitano l’assorbimento delle sostanze nutritive, contribuiscono al buon funzionamento degli organi e favoriscono i processi della crescita. Diversamente da quanto si sente dire spesso, le vitamine non forniscono energia.
Le vitamine sono sostanze organiche complesse, indicate con alcune lettere maiuscole dell’alfabeto. Vengono distinte in idrosolubili, quando si sciolgono nell’acqua, e liposolubili, quando sono solubili nei lipidi.
Le vitamine del gruppo B, la vitamina H e la vitamina C sono idrosolubili. Devono essere assunte ogni giorno nelle giuste quantità in quanto, essendo solubili nell’acqua, vengono rapidamente eliminate attraverso le urine e il sudore. Gli alimenti più ricchi di vitamine idrosolubili sono la verdura e la frutta.
Le vitamine A, D, E e K sono liposolubili. Sono contenute soprattutto nei grassi di origine animale e, una volta assunte, si accumulano nei tessuti adiposi dell’organismo. Ne abbiamo bisogno in piccolissime quantità e, per questa ragione, non è necessario introdurle ogni giorno.
L’organismo non è in grado di produrre da solo le vitamine, con la sola eccezione delle vitamine D e K 2 ; per questo motivo le dobbiamo introdurre mangiando i cibi che le contengono. È consigliabile consumare crudi gli alimenti ricchi di vitamine, in particolare frutta e verdura, perché la cottura distrugge irreparabilmente questi importanti principi nutritivi.
Ma se faccio indigestione di vitamine non mi ammalo più?
Le vitamine sono indispensabili per mantenerci in buona salute, ma se assunte in modo eccessivo, per esempio sotto forma di integratori senza che ce ne sia un reale bisogno, possono creare problemi di ipervitaminosi e provocare danni all’organismo. Un eccesso di vitamina A, per esempio, può provocare vomito e stato di torpore, mentre troppa vitamina D aumenta i livelli di calcio nel sangue, causando affaticamento e alterando lo stato di veglia. Ricorda, basta seguire un’alimentazione corretta per apportare all’organismo le quantità sufficienti di vitamine senza creare problemi di ipervitaminosi!
2 L’esposizione ai raggi solari attiva i processi che permettono alla pelle di produrre vitamina D.


La 1 Tab. riporta le principali vitamine con le relative funzioni.
fabbisogno giornaliero dove si trova a che cosa serve se manca
Vitamine idrosolubili
B1 tiamina
1 mg fegato, latte, lievito di birra, cereali integrali
B2 riboflavina
B3 niacina
B9 acido folico
B12 cobalamina
C acido ascorbico
1,2-1,7 mg carne, fegato, cereali, ortaggi verdi, latte
6,6 mg fegato, carne, latte, lievito di birra, pesce, frutta secca
200 μg lievito di birra, ortaggi verdi, frattaglie, fegato, legumi, uova
3-5 mg latte e derivati, uova, fegato, molluschi
60-70 mg verdura fresca, peperoncino, frutta, in particolare agrumi e kiwi
H biotina
15-100 μg fegato, latte, carne, ortaggi verdi
Vitamine liposolubili
A retinolo
D calciferolo
E tocoferolo
K naftochinone
700 μg frutta e verdura di colore giallo e rosso
10 μg uova, latte e derivati, olio di fegato di merluzzo
30 mg oli vegetali, noci e frutti oleosi, verdure a foglia verde
60-80 μg verdure fresche, frutta, cereali, yogurt
favorisce l’attività delle cellule nervose; regola il metabolismo degli zuccheri; previene la formazione di tumori
favorisce la liberazione di energia dagli alimenti e la formazione di nuove cellule
protegge la pelle e il sistema nervoso
partecipa alla formazione dei globuli rossi e dei globuli bianchi
regola lo sviluppo dei globuli rossi; favorisce la sintesi delle proteine; protegge il fegato; previene l’anemia
protegge da infezioni e malattie; rallenta i processi di invecchiamento delle cellule
favorisce l’elasticità del tessuto connettivo; protegge il sistema nervoso
favorisce la visione notturna; mantiene l’integrità della pelle
regola l’assorbimento del calcio; favorisce il corretto sviluppo delle ossa e dei denti
interviene nella protezione delle membrane cellulari e nello sviluppo dei muscoli; previene la sterilità
interviene nel processo di coagulazione del sangue
disturbi al sistema nervoso
arresto dei processi della crescita; danni agli occhi e alla pelle
comparsa della pellagra (una malattia che determina lesioni della pelle); disturbi all’apparato digerente e al sistema nervoso
anemie; gravi danni al midollo osseo
anemia; debolezza, stanchezza e perdita dell’appetito; disturbi del sistema nervoso

comparsa dello scorbuto, una malattia caratterizzata da molteplici sintomi, tra cui emorragie e anemia; nervosismo e insonnia; perdita dell’appetito
danni alla pelle; caduta dei capelli
cecità notturna; problemi nella percezione dei colori
comparsa del rachitismo, una malattia che si manifesta nei bambini provocando deformazioni delle ossa e rallentamento della crescita
anemia; fenomeni di invecchiamento
comparsa di emorragie
1
Tab. Le principali vitamine.

vitamina
3 I sali minerali
I sali minerali che fanno parte dell’organismo sono circa una ventina e complessivamente formano solo il 4% del peso corporeo: sono sostanze inorganiche presenti sia allo stato solido sia in soluzione nei liquidi.
Alcuni sali hanno funzione plastica, in quanto sono componenti di alcuni organi: calcio e fosforo, per esempio, compongono le ossa e i denti, mentre il ferro è presente nell’emoglobina del sangue, la molecola che trasporta l’ossigeno a tutte le cellule del corpo.
Altri sali minerali hanno funzione regolatrice: il sodio, contenuto nel sale da cucina insieme al cloro, e il potassio controllano gli scambi di liquidi nell’organismo, mentre il magnesio è indispensabile nei processi che determinano la contrazione dei muscoli.
Come l’acqua e la maggior parte delle vitamine, i sali minerali devono essere assunti ogni giorno attraverso l’alimentazione, in quanto vengono eliminati rapidamente dall’organismo attraverso la sudorazione e l’escrezione 3 È impor tante, tuttavia, non abusare di questi nutrienti: una dieta troppo ricca di cloruro di sodio, per esempio, può favorire un aumento della pressione del sangue e contribuire all’insorgere di malattie cardiocircolatorie.
FISSA I CONTENUTI ESSENZIALI
Segna con una crocetta se vero (V) o falso (F).
1. Buona parte del nostro corpo è formata da acqua.
2. Le vitamine idrosolubili si sciolgono nei grassi.

Il latte e i suoi derivati sono ricchi di calcio, il sale minerale più abbondante nell’organismo. Per assorbirlo, però, è necessaria la presenza della vitamina D. Ecco perché esporsi al Sole fa bene alle ossa!

Spinaci, bietole e verdure di colore verde scuro sono un’ottima fonte di ferro. Per facilitare l’assorbimento di questo importante sale minerale è importante condire le verdure con succo di limone, ricco di vitamina C.

Il cloruro di sodio, più conosciuto come sale da cucina, deve entrare nella nostra dieta perché apporta sodio, indispensabile nella regolazione dei liquidi del corpo e per il buon funzionamento del sistema nervoso, e cloro, che rende possibile la digestione del cibo nello stomaco.

3. La quantità di vitamine contenuta nelle verdure crude è maggiore che in quelle cotte.
4. I sali minerali possono avere funzione plastica.
VERSO LE COMPETENZE
Consulta la tabella delle vitamine idrosolubili e liposolubili della pagina precedente e rispondi alle domande.
1. Quale vitamina ha la composizione dell’acido folico?
2. Di quale vitamina sono particolarmente ricchi kiwi e agrumi?
3. Che cosa accade all’organismo quando è carente la vitamina B3?
4. Quale vitamina svolge un ruolo importante nei processi di crescita dei bambini?
5. Quale vitamina è consigliabile assumere in caso di perdita dell’appetito ed eccessiva stanchezza?
6. Quali tipi di frutta e di verdura devi mangiare per rifornire l’organismo di vitamina A?
EDUCAZIONE CIVICA
I disturbi alimentari

Il 15 marzo si celebra la Giornata nazionale del fiocchetto lilla, per sensibilizzare la popolazione sui disturbi alimentari, vere e proprie malattie sempre più diffuse, che comprendono l’anoressia, la bulimia, il disturbo da alimentazione incontrollata (binge eating) e l’obesità. Dopo la pandemia di Covid-19, queste disfunzioni sono in crescita e il loro esordio è sempre più precoce. Riflettiamo sulle cifre: 55 milioni di persone nel mondo e oltre 3 milioni in Italia soffrono di disturbi del comportamento alimentare. L’incidenza è aumentata del 30% per effetto della pandemia e il picco si registra soprattutto tra i giovanissimi, colpiti fino a quattro volte di più rispetto al periodo pre-Covid a causa dell’isolamento, della permanenza forzata a casa, della chiusura delle scuole e dell’annullamento delle iniziative sociali. I disturbi alimentari colpiscono di più la popolazione femminile, ma è preoccupante che il 6% abbia meno di 12 anni. Conosciamo più da vicino questi disturbi per capirne i sintomi in tempo e intervenire con le cure adeguate.
1 Anoressia
1 Un aspetto che caratterizza la persona anoressica è la necessità di controllare l’alimentazione alla ricerca della magrezza.

I mezzi di comunicazione, ma soprattutto i social media propongono continuamente donne e uomini dal fisico perfetto, che spesso condizionano giovani e adolescenti facendoli sentire inadeguati rispetto a questi modelli. Proprio per questo molte ragazze e anche molti ragazzi decidono di dimagrire senza consultare il medico e cominciano a mangiare sempre meno. Questo grave disturbo alimentare prende il nome di anoressia. Una persona diventa anoressica quando, riducendo la propria consueta alimentazione, scende sotto l’85% del peso normale per la propria età, sesso, altezza.
L’anoressia è la conseguenza del rifiuto ad assumere cibo, determinato da una ossessiva paura di diventare grassi, anche quando si è sottopeso. Si comincia spesso evitando tutti i cibi ritenuti grassi, concentrandosi su alimenti poco calorici, con una attenzione assillante alla bilancia. Il corpo viene percepito e vissuto in modo alterato con un’eccessiva preoccupazione per la forma.
Un secondo aspetto è rappresentato da grandi abbuffate, seguite da vomito autoindotto, uso improprio di pillole lassative o diuretiche, iperattività fisica. Nulla conta se non l’alimentazione e si perde interesse per qualunque altra cosa 1 .
2 Bulimia e binge eating
La bulimia si manifesta con un’improvvisa sensazione di fame e con un bisogno incontrollabile di mangiare grandi quantità di cibo in breve tempo. In seguito, i sensi di colpa e la paura di ingrassare spingono la persona a procurarsi il vomito o ad assumere dosi massicce di lassativi. Il binge eating è un disturbo alimentare caratterizzato da frequenti abbuffate, dopo le quali la persona avverte dolore fisico a livello dello stomaco per la quantità di cibo ingerito e stati emotivi negativi come vergogna, frustrazione, tristezza. Non si cerca di adottare comportamenti atti a ridurre il cibo, ma si continua a permanere sulla strada verso l’obesità.
3 Obesità
Il sovrappeso grave, o obesità, consiste nell’aumento del peso corporeo oltre il 25% del valore ritenuto normale. Si manifesta in chi mangia troppo e non si muove abbastanza da consumare la quantità di cibo ingerito in eccesso. Gli alimenti che non vengono consumati si depositano sotto forma di grassi in particolari cellule, gli adipociti, che aumentano di dimensioni. La diffusione dell’obesità nel mondo da qualche anno ha superato il record: più di un miliardo di persone nel mondo sono obese. Tra queste, 650 milioni sono adulti, 340 milioni adolescenti e 39 milioni bambini. Di questo passo, l’OMS stima che entro il 2025, potrebbero diventare obese circa altri 167 milioni di persone 2 .
4 Le cause e le cure
Obesità, anoressia e bulimia sono il prodotto di gravi disturbi della personalità che impediscono all’individuo di accettare di crescere e diventare adulto. Spesso i disturbi alimentari nascono da un cattivo rapporto con il cibo. Molti mangiano senza controllo per sfuggire allo stress provocato dai problemi della vita di ogni giorno e diventano progressivamente “dipendenti” dai cibi, proprio come accade con una droga: il cervello non invia più il segnale di sazietà che controlla la normale assunzione di alimenti e ne richiede quantità sempre maggiori. Altri, invece, si allontanano dai cibi e cominciano a temerli come nemici che attentano alla loro linea: giorno dopo giorno, la persona anoressica perde il piacere di mangiare insieme agli altri, perde il gusto per i colori, i sapori e i profumi dei cibi che costituiscono una componente fondamentale dell’alimentazione umana, essenziale per la salute quanto l’assunzione dei nutrienti. In tutti questi casi è necessario l’intervento di uno psicoterapeuta specializzato nella cura di questi disturbi, che affianchi l’azione di un medico e di un nutrizionista. La buona salute dell’organismo è, come sempre, tra i due estremi: facciamo pace con il cibo!
5 Le raccomandazioni delle organizzazioni internazionali
Le Nazioni Unite invitano tutti i paesi del mondo a lavorare insieme per creare un ambiente alimentare migliore, in modo che tutti possano godere di una dieta sana. Per raggiungere questo obiettivo, le misure da adottare includono: la limitazione del commercio rivolto ai bambini di alimenti e bevande ricchi di grassi, zucchero e sale 3 ; la tassazione delle bevande zuccherate; l’accesso facilitato al cibo sano e a prezzi contenuti. Insieme ai cambiamenti nella dieta, l’OMS ribadisce la necessità di fare esercizio fisico:
Le città e i paesi devono creare spazio per camminare, andare in bicicletta e svolgere attività ricreative in sicurezza e le scuole devono aiutare le famiglie a insegnare ai bambini abitudini sane fin dall’inizio.
Gli interventi nutrizionali nel trattamento dei disturbi del comportamento alimentare possono essere attuati mediante diverse procedure, impiegate singolarmente o variamente combinate tra loro. Gli specialisti tendono a favorire il ritorno del paziente a condizioni nutrizionali accettabili, recuperando una percezione reale dei propri bisogni, affrontando progressivamente le paure legate al peso e al cibo e rafforzando l’autostima.
2 Da adulti, l’obesità è un fattore di rischio per malattie del cuore e della circolazione.

3 Le bibite zuccherate sono sottoposte alla sugar tax in molti paesi del mondo.

SKILL BOOK
SCIENZE & MAT
L’INDICE DI MASSA CORPOREA
DI lezione 5
L’aLIMENTAZIONE SOSTENIBILE EDUCAZIONE CIVICA
CARTA PENNA COMPUTER

Esplora l’oggetto interattivo e scrivi le risposte sul quaderno.

Organizziamo un eco pic-nic
1. Che cosa significa il termine “biodegradabile”?
CONTENUTI
2. In che cosa si differenzia la bioplastica dalla plastica normale?
3. Che cosa sono i prodotti a kilometro zero?
4. Perché mangiare frutta e verdura di stagione riduce l’impatto sull’ambiente?
1 L’alimentazione, un problema globale

L’insicurezza
alimentare riguarda la disponibilità, l’accesso e l’utilizzo del cibo.
Il sistema attuale di produzione alimentare è una delle attività umane a maggiore impatto ambientale. L’agricoltura consuma il 70% delle risorse idriche del pianeta e l’allevamento animale è responsabile del 40% delle emissioni di gas serra in atmosfera, oltre che di numerosi altri effetti negativi sul suolo e sulla biodiversità. Negli ultimi cinquant’anni l’agricoltura tradizionale si è trasformata in un’industria agricola che ha permesso un forte incremento della produzione ma, contemporaneamente, ha causato la perdita della biodiversità dei suoli e delle colture che ne derivano. Nello stesso tempo, il miglioramento delle condizioni di vita in molti paesi in via di sviluppo ha avuto come conseguenza anche un cambiamento degli stili alimentari causando, per esempio, un aumento del consumo di carne di circa il 300%.
Il risultato di queste trasformazioni è che oggi lo sfruttamento dei territori per la produzione agricola e l’allevamento intensivo è in costante crescita e questo causa un fortissimo impatto ambientale sull’intero pianeta. Nel frattempo la popolazione umana continua ad aumentare: si stima che entro il 2050 la Terra ospiterà quasi 10 miliardi di persone e, di conseguenza, crescerà anche la domanda alimentare.
A causa di tutti questi fattori oggi esistono forti squilibri nel mondo nella distribuzione del cibo. Le regioni più sviluppate del pianeta consumano più cibo di quanto ne abbiano realmente bisogno e circa un miliardo di persone vive, invece, in condizioni di fame, denutrizione o malnutrizione e di insicurezza alimentare 1 .
Per fame si intende la sofferenza per mancanza di cibo. La soglia che definisce la privazione di cibo è inferiore a 1 800 calorie al giorno.
Per denutrizione si intende non solo la carenza di energia, ma anche di nutrienti importanti come proteine, vitamine e sali minerali essenziali.
La ricerca di Hasler
Infine, la malnutrizione si riferisce sia alla denutrizione sia alla ipernutrizione, un’alimentazione impoverita a causa di una dieta non equilibrata e priva di nutrienti ad alto valore biologico, che può portare all’obesità.
Questa situazione, che già ora appare non sostenibile, è destinata a peggiorare. A causa dei problemi alimentari, i suoli saranno sempre più impoveriti, aumenterà l’inquinamento di aria e acqua e molte specie animali e vegetali scompariranno. Il raggiungimento di un sistema di produzione alimentare diverso da quello attuale è una delle sfide dell’ONU per i prossimi anni. L’obiettivo n. 2 dell’Agenda 2030 ha lo scopo di porre fine alla fame nel mondo e di garantire un accesso sicuro al cibo; tale obiettivo è collegato all’obiettivo n. 12, che prevede la gestione efficiente delle risorse naturali e lo sviluppo di modelli di produzione e consumo sostenibili. Per raggiungere l’obiettivo “fame zero” gli stati che aderiscono all’Agenda 2030 stanno mettendo in atto una serie di iniziative sia nel settore della produzione agricola sia in quello della distribuzione e della conservazione dei prodotti alimentari. Anche noi, tuttavia, possiamo dare il nostro contributo adottando tre semplici regole nel nostro modo di mangiare di ogni giorno.
2 Che cos’è l’alimentazione sostenibile
Per garantire cibo a sufficienza per tutti gli esseri umani, oggi e in futuro, è necessario cambiare i metodi di produzione agricola ma anche le nostre abitudini, orientandoci verso un nuovo modello di alimentazione, l’alimentazione sostenibile.
L’alimentazione sostenibile è un’alimentazione che ha un ridotto impatto ambientale e garantisce cibo sano ed equamente distribuito nel mondo per le generazioni attuali e future.
Il raggiungimento di un sistema di produzione alimentare diverso da quello attuale è una delle sfide dell’ONU per i prossimi anni. L’obiettivo n. 2 dell’Agenda 2030 ha lo scopo di porre fine alla fame nel mondo e di garantire un accesso sicuro al cibo; tale obiettivo è collegato all’obiettivo n. 12, che prevede la gestione efficiente delle risorse naturali e lo sviluppo di modelli di produzione e consumo sostenibili. Per raggiungere l’obiettivo “fame zero” gli stati che aderiscono all’Agenda 2030 stanno mettendo in atto una serie di iniziative sia nel settore della produzione agricola sia in quello della distribuzione e della conservazione dei prodotti alimentari. Anche noi, tuttavia, possiamo dare il nostro contributo adottando tre semplici regole nel nostro modo di mangiare di ogni giorno.
■ Consumare meno cibo
Esistono regioni del mondo in cui si ha la tendenza a un sovraconsumo di cibo, con conseguente incremento di persone in sovrappeso o obese. L’abitudine al sovraconsumo alimentare fa aumentare la domanda di cibo e quindi la richiesta di nuovi spazi da coltivare o da utilizzare per l’allevamento, con un’inevitabile crescita dell’impatto ambientale provocato da queste attività.
■ Ridurre lo spreco alimentare
L’espressione “spreco alimentare” indica l’insieme di prodotti alimentari che sono scartati lungo tutta la catena produttiva 2 . Lo spreco inizia dai campi di raccolta dei prodotti agricoli, passa attraverso la lavorazione industriale, la distribuzione e la vendita, fino ad arrivare sulle tavole dei consumatori.
2 Il 5 febbraio 2023, in occasione della Giornata nazionale di prevenzione dello spreco alimentare, è stata messa a disposizione l’app gratuita Sprecometro che permette di monitorare e prevenire concretamente lo spreco di cibo nella nostra vita quotidiana.

3 L’allevamento del bestiame incide in modo significativo sull’ambiente.

Circa il 90% del “cibo scartato” potrebbe essere ancora destinato al consumo umano: si tratta spesso di prodotti che hanno dei difetti nelle confezioni oppure una data di scadenza troppo vicina che ne impedisce la vendita nei supermercati ma che, da un punto di vista nutrizionale, possono essere consumati in totale sicurezza. Gran parte dello spreco di cibo a livello domestico dipende dal fatto che spesso acquistiamo più alimenti di quelli che riusciamo a mangiare prima che si deteriorino. Buttare il cibo, quando molte persone vivono in condizione di malnutrizione e denutrizione, non è solo moralmente inaccettabile, ma significa anche aver sprecato e inquinato il suolo, l’acqua e l’atmosfera.
■ Preferire cibo di origine vegetale a quello animale
La produzione di alimenti di origine animale ha una maggiore impronta ecologica rispetto alla produzione di alimenti di origine vegetale. Per l’allevamento del bestiame, infatti, è necessario abbattere foreste e creare nuovi pascoli; inoltre, la presenza di mandrie che calpestano il terreno con gli zoccoli causa un’eccessiva compattazione del suolo e la progressiva perdita delle sue proprietà, accelerando i processi di erosione e desertificazione nelle zone aride.
L’allevamento 3 ha anche una forte impronta idrica, sia per il consumo diretto di acqua da parte del bestiame, sia per l’inquinamento che gli animali provocano indirettamente nelle acque di fiumi e laghi a causa dei loro rifiuti.
Infine, l’allevamento intensivo dei bovini è una delle principali cause dell’aumento dell’effetto serra: una mucca, per esempio, può espellere da 100 a 500 litri di gas metano al giorno prodotto dall’attività dei microrganismi che favoriscono la digestione dei vegetali all’interno del rumine dell’animale. Per queste ragioni si consiglia di adottare una dieta ricca di alimenti di origine vegetale, come frutta, verdura, cereali, legumi, olio di oliva e che prevede un consumo moderato di carne rossa e derivati animali. Sono queste le caratteristiche della dieta mediterranea, un tipo di alimentazione variegata e sana, basata sulla disponibilità locale dei prodotti e sulla loro stagionalità. Purtroppo la dieta mediterranea è “a rischio estinzione” perché è sempre meno seguita, soprattutto dai giovani che tendono a preferire un’alimentazione fast food ricca di zuccheri e grassi animali 4 .

3 Alimentazione sostenibile in pratica
Piccole scelte quotidiane possono avere un impatto importante sulla riduzione della nostra impronta ecologica e contribuire alla risoluzione dei problemi alimentari che affiggono l’umanità.
Tutti possiamo impegnarci per conservare la Terra per le generazioni future e una piccola azione oggi può avere enormi effetti domani su scala globale. Basta seguire qualche semplice regola per realizzare un’alimentazione sostenibile.
• Mangiamo più frutta e verdura e meno carne: meglio limitare il consumo di carne rossa a 1 o 2 volte la settimana, come consigliato dalla dieta mediterranea, e preferire carni di pollo o tacchino che hanno un’impronta ecologica più bassa. Con questa scelta possiamo attivare un circolo virtuoso che, dalla riduzione di domanda di carne rossa, porta alla riduzione di allevamenti e quindi di consumo di suolo.
• Preferiamo cibi a kilometro zero, locali e di stagione: in questo modo limitiamo l’emissione di anidride carbonica per il trasporto dei prodotti da luoghi lontani e quella derivante dal mantenimento artificiale delle temperature adatte alle coltivazioni in serra.
• Evitiamo di acquistare e di mangiare più cibo di quanto abbiamo bisogno: progettare la spesa settimanale con cura è un buon modo per acquistare solo il necessario e ridurre lo spreco di cibo 5 .
• Scegliamo pesce da mari sostenibili: meglio scegliere pesce con etichette come quella del Marine Stewardship Council, che certifica il pesce pescato in maniera sostenibile, cioè rispettando le aree di pesca e la stagionalità 6 .
• Evitiamo imballaggi inutili: è una buona pratica ridurre l’acquisto di cibo confezionato, specialmente quando è in confezioni di materiale non riciclabile.
• Beviamo acqua del rubinetto: in Italia gli standard di qualità e sicurezza dell’acqua sono molto alti. Quindi è assolutamente sicuro consumare l’acqua del rubinetto di casa tutte le volte che vogliamo.
FISSA I CONTENUTI ESSENZIALI
Segna con una crocetta se vero (V) o falso (F).


5 Un’alimentazione sana ed equilibrata si realizza anche leggendo le informazioni riportate sulle etichette dei cibi.
6 Il Marine Stewardship Council (MSC) è un’organizzazione internazionale, nata nel 1997.
1. La malnutrizione non è presente nei paesi più ricchi e sviluppati.
2. L’alimentazione sostenibile è un obiettivo dell’Agenda 2030.
3. Consumare cibi di origine animale ha un elevato impatto ambientale.
4. La dieta mediterranea prevede il consumo di molta carne e pesce.
VERSO LE COMPETENZE
Sul sito www.improntawwf.it/carrello/ è possibile simulare la spesa settimanale al supermercato.
Al termine verrà calcolato lo “scontrino ambientale” delle scelte fatte in termini di metri cubi di acqua consumati e di emissioni di anidride carbonica. Rifletti con i tuoi compagni sui risultati ottenuti da ognuno di voi e pensate in quale modo potreste ridurre la vostra impronta ecologica quando acquistate del cibo.
CON LA SINTESI
lezione 1 LA NUTRIZIONE
Un’alimentazione completa e regolare deve fornire all’organismo le sostanze di cui ha bisogno e una quantità sufficiente di acqua, indispensabile per far avvenire tutte le reazioni chimiche che avvengono a livello delle cellule e che ci tengono in vita. Una dieta è un apporto equilibrato di nutrienti e di tutta l’energia necessaria per mantenerci in vita e permetterci di svolgere le nostre attività quotidiane. La quantità di energia che ci occorre, misurata in kilocalorie (kcal), costituisce il nostro fabbisogno energetico giornaliero. Il metabolismo basale rappresenta il minimo di energia indispensabile all’organismo per svolgere le funzioni vitali.
lezione 2 I NUTRIENTI ENERGETICI
I nutrienti, cioè i principi nutritivi contenuti negli alimenti, sono le stesse sostanze che formano il nostro organismo e si distinguono in carboidrati, lipidi, proteine, vitamine, sali minerali e acqua. I nutrienti energetici sono carboidrati e lipidi, formati da carbonio, idrogeno e ossigeno. I carboidrati, chiamati anche zuccheri o glucidi, sono suddivisi in monosaccaridi (formati da una sola molecola), disaccaridi (formati da due molecole di monosaccaridi) e polisaccaridi (formati da numerose molecole di monosaccaridi): si trovano nella frutta, nello zucchero, nei cereali e forniscono energia di immediato utilizzo. I lipidi, o grassi, si distinguono in grassi saturi (di origine animale) contenuti in burro, panna, carni grasse e in grassi insaturi (di origine vegetale) contenuti nell’olio di oliva e negli oli estratti dai semi. I grassi sono accumulati come riserva nel tessuto adiposo sotto forma di trigliceridi.
lezione 3 I NUTRIENTI PLASTICI
Le proteine sono sostanze organiche formate da unità elementari, gli amminoacidi, legati l’uno all’altro a formare delle catene. Gli amminoacidi sono a loro volta formati da carbonio, idrogeno, ossigeno e azoto. In natura esistono 20 amminoacidi ma il nostro organismo è in grado di produrne solo 12. I restanti 8, chiamati amminoacidi essenziali, devono essere introdotti ogni giorno con la dieta. Sono ricchi di proteine carni, uova, latte e legumi.






Le proteine svolgono diverse funzioni:
funzione plastica, svolta dalle proteine dei tessuti connettivi; funzione enzimatica, svolta dalle proteine che regolano i processi metabolici, per esempio nella digestione; funzione immunitaria, svolta dalle proteine che formano gli anticorpi;
funzione di trasporto, come quella svolta dall’emoglobina del sangue. Le proteine sono, inoltre, contenute negli acidi nucleici, fungono da neurotrasmettitori e intervengono nella contrazione muscolare.
lezione 4 I NUTRIENTI BIOREGOLATORI
L’acqua è il principale componente del nostro organismo: assicura l’equilibrio termico e mantiene costante la composizione dei fluidi del corpo, consente l’assorbimento, il trasporto e l’utilizzazione dei nutrienti, favorisce l’eliminazione dei prodotti di rifiuto. Le vitamine sono nutrienti che facilitano l’assorbimento delle altre sostanze nutritive, contribuiscono al buon funzionamento degli organi e favoriscono i processi della crescita. Si distinguono in vitamine idrosolubili se si sciolgono in acqua e liposolubili se si sciolgono nei grassi. Il nostro organismo produce solo le vitamine D e K, le altre devono essere ricavate dagli alimenti che le contengono come frutta, verdura, grassi di origine animale. I sali minerali (calcio, fosforo, magnesio, sodio, potassio, ferro) svolgono diverse funzioni (costituzione di ossa e denti, contrazione dei muscoli, trasporto dell’ossigeno); devono essere assunti quotidianamente ma senza eccessi.
lezione 5 EDUCAZIONE CIVICA L’ALIMENTAZIONE SOSTENIBILE
Il moderno sistema di produzione alimentare ha un forte impatto ambientale ed è responsabile di forti squilibri nella distribuzione del cibo nel mondo. Ancora oggi esistono aree del pianeta dove sono diffuse la fame e la denutrizione, e altre dove diete squilibrate e povere di nutrienti ad alto valore biologico creano condizioni di malnutrizione. Il miglior sistema per cambiare questa situazione è l’alimentazione sostenibile, un tipo di alimentazione che garantisce cibo sano ed equamente distribuito, per le generazioni attuali e future. L’alimentazione sostenibile prevede la lotta allo spreco alimentare, la riduzione del consumo di cibo d’origine animale e, in generale, la riduzione del sovraconsumo alimentare.


CON LA MAPPA
Adesso che hai ripassato i contenuti essenziali con la sintesi, prova a completare la mappa con le parole chiave suggerite e a trovare le definizioni corrispondenti. acqua - carboidrati - funzione plastica - lipidi - metabolismo basale - nutrienti - sali minerali
è definita come un deve comprendere
2. regime alimentare equilibrato
4. fabbisogno energetico giornaliero
6. alimenti
che fornisce gli elementi necessari al come come i
funzione energetica
che forniscono tutti i
che possono avere

10. funzione bioregolatrice


a. Nutrienti liposolubili o idrosolubili.

b. È l’energia necessaria per compiere le funzioni vitali e svolgere le attività quotidiane.
c. Nutrienti con funzione energetica contenuti negli olii.
d. Costituenti delle ossa e dei denti.
1. LA DIETA
8.
14. vitamine 13. proteine
come le
12.
FISSA I CONTENUTI ESSENZIALI
lezione 1 LA NUTRIZIONE
1 Sottolinea il termine corretto tra i due proposti.
a. L’insieme delle reazioni chimiche che l’organismo svolge quando utilizza il cibo si chiama alimentazione/metabolismo
b. Il fabbisogno energetico per svolgere le funzioni vitali è rappresentato dal fabbisogno energetico giornaliero/metabolismo basale.
c. La dieta vegana/vegetariana elimina completamente i cibi di origine animale.
d. L’unità di misura dell’energia ricavata dal cibo è la kilocaloria/il newton
2 Segna con una crocetta se vero (V) o falso (F).
a. L’immagine rappresenta la piramide alimentare.
b. Gli alimenti al vertice della piramide vanno mangiati con maggiore frequenza.
c. È sufficiente bere tre bicchieri di acqua al giorno.
d. I formaggi devono essere consumati con minor frequenza della pasta.
3 Completa le frasi con il termine corretto.
a. Il giornaliero varia da persona a persona perché dipende da molti fattori.
b. La è un regime alimentare equilibrato che fornisce tutte le sostanze di cui è fatto l’organismo.
c. La quantità minima di energia richiesta per sopravvivere costituisce il

lezione 2 I NUTRIENTI ENERGETICI
4 Segna con una crocetta se vero (V) o falso (F).
a. Gli alimenti sono tutte le sostanze che formano i cibi.
b. I nutrienti sono le sostanze chimiche che formano i cibi.
c. I carboidrati hanno funzione plastica.
d. Le vitamine hanno funzione equilibratrice.
5 Abbina i termini con la definizione corretta.
1. Glicogeno
2. Fruttosio
3. Grassi saturi
4. Cellulosa
a Lipidi di origine animale.
b Polisaccaride che costituisce le fibre vegetali.
c Molecola energetica con funzione di riserva.
d Monosaccaride contenuto nella frutta.
1. 2. 3. 4.
6 Osserva il disegno e inserisci accanto a ogni termine il numero corrispondente.


a. Molecola di monosaccaride.
b. Molecola di disaccaride.
c. Molecola di polisaccaride.

lezione 3 I NUTRIENTI PLASTICI
7 Scegli la soluzione corretta.
a. Gli amminoacidi sono molecole semplici che costituiscono:
1 i carboidrati
2 i lipidi. 3 le proteine. 4 le vitamine.
b. La funzione enzimatica delle proteine consiste:
1 nella costruzione dei tessuti connettivi.
2 nel trasporto di particolari sostanze.
3 nella difesa dell’organismo.
4 nella regolazione della velocità di reazione chimica nelle cellule.
8 Completa le frasi con i termini corretti.
a. Gli amminoacidi sono 8 e non possono essere prodotti dall’organismo, che invece è in grado di sintetizzare gli altri
b. Il di una proteina dipende dal suo contenuto di amminoacidi essenziali.
c. Le proteine di origine hanno un valore biologico più elevato di quelle di origine che sono povere di amminoacidi essenziali.
lezione 4 I NUTRIENTI BIOREGOLATORI
9 Scegli la soluzione errata.
a. L’acqua:
1 è il principale componente delle cellule.
2 è il più essenziale degli alimenti.
3 assicura l’equilibrio termico.
4 non può essere assunta attraverso i cibi.
b. Le vitamine:
1 sono tutte prodotte dall’organismo.
2 sono idrosolubili e liposolubili.
3 sono contenute in frutta e verdura.
4 si deteriorano con la cottura.
c. I sali minerali:
1 hanno funzione plastica.
2 hanno funzione regolatrice.
3 si assumono con l’alimentazione.
4 formano il 40% del peso corporeo.
10 Abbina i termini con la definizione corretta.
1. Scorbuto
2. Rachitismo
3. Pellagra
4. Anemia
a Malattia da carenza di vitamina D.
b Malattia da carenza di vitamina K e del gruppo B.
c Malattia da carenza di vitamina C.
d Malattia da carenza di vitamina B3.
1. 2. 3. 4.
lezione
5 L’ALIMENTAZIONE SOSTENIBILE
11 Scegli la soluzione corretta.
a. La dieta mediterranea:
1 è seguita soprattutto dai giovani.
2 prevede il consumo abbondante di cibi ricchi di proteine.
3 privilegia i grassi animali.
4 è un tipo di alimentazione sostenibile.
b. Quale dei seguenti comportamenti favorisce un’alimentazione sostenibile?
1 Acquistare prodotti a km 0.
2 Comprare primizie in qualsiasi stagione dell’anno.
3 Mangiare carne ogni giorno.
4 Consumare più cibo del necessario.
12 Completa le frasi con i termini corretti.
a. La colpisce le persone che adottano una dieta non equilibrata e povera di proteine, vitamine e sali minerali.
b. L’alimentazione garantisce un’equa distribuzione di cibo sano per le generazioni attuali e future.
c. Lo alimentare indica lo scarto di cibo dalla produzione fino al consumatore.
d. Quando acquistiamo prodotti confezionati è meglio scegliere quelli con imballaggi in materiali
INTERPRETARE UN MODELLO
1 Completa l’immagine con i nomi dei nutrienti prevalenti in ogni sezione.

Rispondi alle domande.
a. Che cosa rappresenta l’immagine?
b. A quale tipo di dieta si riferisce ?
c. Quali sono gli alimenti che contengono grassi insaturi?
d. Quali tipi di nutrienti contengono frutta e verdura?
COLLEGARE UN’ESPERIENZA
ALLE CONOSCENZE STUDIATE
2 Le vignette sono state realizzate in occasione di una campagna di sensibilizzazione contro lo spreco alimentare. Osservale con attenzione e rispondi alle domande.


a. Quale dei cibi in scadenza ti sentiresti di mangiare in sicurezza?
b. Che cosa pensi che sia meglio fare con l’insalata contenuta nel sacchetto aperto da qualche giorno?
c. La maionese è una salsa a base di olio e uova: una volta aperta la confezione, può durare fino a due mesi. In quali condizioni deve essere conservata?
RISOLVERE PROLEMI
3 Zuccheri e proteine forniscono ciascuno 4,1 kcal per grammo, mentre i lipidi ne forniscono 9,3 kcal. Calcola le calorie fornite da un vasetto di yogurt alla frutta da 125 g partendo dalla composizione per 100 g.
Totale:
APPLICARE CONOSCENZE
4 Scrivi accanto a ciascun alimento quale tipo di carboidrato contiene e descrivi le caratteristiche dei diversi tipi di carboidrati.




a. Monosaccaridi
b. Disaccaridi
c. Polisaccaridi
5 Osserva l’immagine e rispondi alle domande.
a. Che cosa rappresenta questa immagine?
b. Da che cosa sono composte queste molecole?

c. L’ organismo è in grado di produrle?
TRARRE INFORMAZIONI DA UN TESTO E FORMULARE IPOTESI
6 Leggi il brano.
L’AGRICOLTURA DI SUSSISTENZA
L’agricoltura di sussistenza è una forma di agricoltura praticata per migliaia di anni in tutto il mondo e, al giorno d’oggi, solo in alcuni territori.
In questa forma di agricoltura, le persone coltivano una varietà di colture per il sostentamento alimentare delle proprie famiglie e non per essere messe in commercio. La maggior parte dei raccolti viene consumata all’interno della famiglia e solo una piccola parte del raccolto può essere venduta o più frequentemente scambiata.
L’agricoltura di sussistenza è l’opposto dell’agricoltura commerciale, in cui tutto il raccolto è destinato al commercio. Quando un agricoltore pratica un’agricoltura di sussistenza, il suo scopo è coltivare le varietà di colture o allevare i capi di bestiame che meglio si adattano alle condizioni locali.
L’agricoltura di sussistenza stanziale è la più praticata nei paesi in via di sviluppo, a questa categoria appartengono molte colture di riso in Asia sudorientale e di cereali nelle savane e nelle steppe africane e quelle nei deserti del Sudest asiatico. L’agricoltura di sussistenza itinerante viene, ancora oggi, esercitata nelle regioni più isolate dei Paesi in via di sviluppo, come le foreste tropicali ed equatoriali, quali Amazzonia, Indonesia, Congo; nelle regioni dei grandi deserti, come il Sahara, e in quelle montuose alle quali è difficile accedere, come le Ande e il Tibet.


Rispondi alle domande.
1. Che cos’è l’agricoltura di sussistenza?
2. Quali prodotti sono coltivati?

3. Riflettendo sul significato dei termini nella lingua italiana, sai spiegare la differenza tra agricoltura stanziale e itinerante?


4. In quali zone del mondo sono praticati questi tipi di agricoltura?

struttura secondaria a elica
struttura

LET’S EAT
TOGETHER !
Immigrant communities have dramatically changed the food British people eat. In this article, Nigel Slater, a British chef and author, celebrates the richness of this blended heritage. No place welcomes the food of other countries with more enthusiasm than Britain. A walk along our high streets offers everything from sashimi to tacos and pizza to Korean noodles Most of this food comes from small restaurants and food shops run by first- or second-generation immigrant families that have come to Britain and set up shop. As the smell changes from cappuccino to cardamom, we enter the home of the kebab and the korma, the dim sum and the laksa, places where you can get your hands on a box of Alphonso mangoes from India or a warm, freshly-baked roti. The food becomes ever more intriguing, more tempting. Sometimes food that seems at first so different is actually the same the world over. A dumpling in Italy is called a ravioli, in Japan it’s a gyoza, in a Chinese soup it’s called xiao long bao and in Poland it’s called pierogi. Essentially, they are the same thing but the recipe varies from culture to culture. Eating food from around the world is a great way to taste each other’s food and it unites people in more ways than one.
(Article adapted from theguardian.com)
COMPREHENSION EXERCISES
Read the text and answer the questions.
a. What changed the way British people eat?
b. Is food from other countries mainly found in large supermarkets?
c. What makes similar food vary from one country to another?



SET UP SHOP aprire un negozio INTRIGUING affascinante
lossario
CORPOUMANO
digerente L’apparato unità
lezione 1
LE FUNZIONI E LA STRUTTURA
DELL’aPPARATO DIGERENTE
lezione 2
I PROCESSI MECCANICI DELLA DIGESTIONE
lezione 3
I PROCESSI CHIMICI DELLA DIGESTIONE
lezione 4
L’aSSORBIMENTO DEI NUTRIENTI
EDUCAZIONE CIVICA
Prendersi cura
dell ’apparato digerente

LEZIONI POWERPOINT in
BUONE NOTIZIE PER IL FUTURO
Il secondo cervello
Il tratto più lungo del tubo digerente è anche quello più “intelligente”, in quanto dotato di circa 200 milioni di neuroni, le stesse cellule che formano il cervello. Si parla di “cervello addominale” per indicare quella complessa rete nervosa che si estende dall’esofago fino al retto: è lui che regola le funzioni e il movimento dell’intestino, analizza la composizione degli alimenti e seleziona ciò che può essere assorbito e ciò che deve essere eliminato. Inoltre, le cellule del cervello addominale sono responsabili anche del nostro umore.
È stato dimostrato, infatti, che producono serotonina, noto come “ormone della felicità”, proprio come i neuroni del sistema nervoso. Cervello addominale e cervello cerebrale sono in comunicazione diretta: lo possiamo sperimentare direttamente quando una forte emozione ci provoca “le farfalle nella pancia” o gli spasmi per la paura. Non si tratta, però, di un dialogo a due perché nella comunicazione interviene anche il microbiota, il complesso ecosistema di microrganismi che vive nel nostro intestino e che è capace di influenzare positivamente l’attività cerebrale e il sistema immunitario. Recenti studi hanno dimostrato che anche il cervello può modulare direttamente la composizione del microbiota dell’intestino grazie a un processo, che avviene in un paio di ore, per preparare il microbiota ai processi digestivi. Non solo, quindi, i batteri intestinali possono influenzare la funzionalità cerebrale, ma anche il cervello e il nostro stato di umore possono influire sulla digestione.
CARTA PENNA COMPUTER lezione 1

Le funzioni e la struttura delL’apparato digerente
Guarda il video e scrivi le risposte sul quaderno.
1. Dove avvengono le prime fasi della digestione?
2. Che cos’è il bolo?
3. Come si chiama il cibo trasformato all’uscita dallo stomaco?
4. Dove si trova il duodeno? Che cosa avviene al suo interno?
5. Quali succhi agiscono nell’intestino?
1 I processi digestivi
Metti in pausa il video nei seguenti punti.
6. Descrivi i processi che il cibo subisce dal momento in cui entra nello stomaco fino a quando passa nell’intestino tenue.

Gli alimenti che introduciamo ogni giorno con la dieta servono all’organismo per ricavare l’energia e le sostanze nutritive necessarie alle sue cellule.
Così come vengono assunti, i cibi sono troppo complessi per essere utilizzati dal corpo: la pasta e il pane non possono immediatamente fornire glucosio e le proteine di una bistecca non sono direttamente utilizzabili dalle nostre cellule. Per questo motivo, una volta introdotti nell’organismo, i cibi subiscono dei processi di trasformazione che li riducono in molecole più semplici e più piccole che possono essere assimilate e utilizzate dalle cellule.

L’apparato digerente lavora come un efficiente laboratorio chimico, dove tutte le parti funzionano in maniera coordinata e in perfetta successione 1
La digestione è l’insieme dei processi meccanici e chimici che riducono gli alimenti in sostanze abbastanza piccole da essere assorbite dalle cellule.
1 L’intestino è l’organo dell’apparato digerente dove proseguono i processi chimici che trasformano gli alimenti nelle sostanze nutritive e dove queste vengono assorbite e passate nel sangue.
La digestione
ORA FERMA L’IMMAGINE!
Nel primo tratto dell’apparato digerente avvengono i processi meccanici della digestione che consistono nel taglio, nella lacerazione e nello sminuzzamento del cibo ad opera dei denti. In seguito alla deglutizione, che è un movimento in parte volontario, si attivano i muscoli involontari dello stomaco e dell’intestino che, contraendosi con movimenti peristaltici, spingono il cibo lungo il tubo digerente.
Al temine del percorso, grazie a una contrazione volontaria dei muscoli del tratto finale dell’intestino, avviene l’espulsione delle sostanze di rifiuto, le feci I processi chimici che avvengono durante la digestione sono molto complessi e consistono nella scomposizione degli alimenti in sostanze semplici. L’acqua che ingeriamo, sia bevendo sia mangiando, e i diversi enzimi contenuti nei succhi digestivi permettono le reazioni di idrolisi che spezzano in molecole più piccole le grosse molecole che formano i nutrienti, proteine, polisaccaridi e lipidi 2
Al termine della digestione, si ottengono molecole solubili in acqua, abbastanza piccole da poter essere assorbite e assimilate.
DIGESTIONE MEDIANTE ENZIMI DIGESTIVI
proteine
polisaccaridi
glucosio
lipidi
glicerolo e acidi grassi
Le sostanze nutritive derivate dalla demolizione del cibo passano nelle cellule della parete intestinale e, da lì, nel sangue e nella linfa: questo processo prende il nome di assorbimento.
Il processo avviene all’interno dell’intestino dove sono assorbiti, insieme a una parte dell’acqua, anche vitamine e sali minerali che non sono stati modificati dai processi digestivi.
2 Le funzioni degli enzimi digestivi.
amminoacidi
SKILL BOOK
UN MODELLO DI APPARATO DIGERENTE
LAB TINKERING
tenue
intestino
denti bocca
lingua
ghiandole
salivari
fegato
cistifellea
sfintere pilorico
duodeno digiuno
ileo
appendice
3 Gli organi dell’apparato digerente.
ghiandole
salivari
faringe
epiglottide
2
Come è fatto l’apparato digerente
cardias (sfintere gastroesofageo)
stomaco esofago
milza
dotto biliare
pancreas
dotto
pancreatico
colon
cieco
retto
Devo fare una partita, CHE cosa devo mangiare?
Gli organi che realizzano la digestione e l’assorbimento costituiscono l’apparato digerente. Esso è composto da un lungo tubo, il tubo digerente o canale alimentare, affiancato da alcune ghiandole 3 Il tubo digerente ha una lunghezza di circa 10 metri: le due estremità si aprono all’esterno del corpo con la bocca e l’ano. L’intero tubo è rivestito da una mucosa, un tessuto ricco di ghiandole che producono muco per facilitare il transito del cibo. Il tubo digerente è distinto in tratti diversi, ognuno specializzato a compiere una determinata funzione: inizia con la bocca e prosegue con la faringe e l’esofago; si dilata con lo stomaco e continua con l’intestino tenue e l’intestino crasso, che termina con l’ano. All’apparato digerente sono collegate alcune ghiandole: le ghiandole salivari, il fegato e il pancreas. La loro funzione è produrre enzimi specifici che completano il processo digestivo.
3
Gli enzimi
La digestione non potrebbe svolgersi se non vi fossero particolari proteine, gli enzimi. Il loro compito è attivare qualsiasi reazione chimica che avviene nelle cellule e farla procedere velocemente. Si tratta di due funzioni fondamentali per l’organismo: senza enzimi, infatti, le cellule non potrebbero ricavare l’energia necessaria dai nutrienti, ma neanche riprodursi né comunicare tra loro. Gli enzimi digestivi, in particolare, rendono possibili le reazioni che “rompono” le grandi molecole che formano gli alimenti.
Pasta e frutta. I cibi che contengono carboidrati complessi, come l’amido contenuto nella pasta e nel riso, o carboidrati a basso indice glicemico, come il fruttosio contenuto nella frutta o il galattosio e il glucosio contenuti nello yogurt, sono digeriti in 2–3 ore, quindi sono da preferire prima di un impegno sportivo rispetto ai cibi ricchi di grassi e proteine. Questi ultimi, infatti, richiedono tempi di digestione più lunghi, almeno 3 o 4 ore.

La ptialina, per esempio, è un enzima contenuto nella saliva: quando mastichiamo un pezzo di pane, è il primo enzima digestivo che entra in azione aggredendo le molecole dell’amido e riducendole in parti più piccole. Questo processo chimico è possibile perché alcuni sali minerali, presenti nella saliva, rendono la bocca un ambiente basico. Nello stomaco, dove agiscono diversi enzimi, l’ambiente è particolarmente acido: la pepsina attacca le catene di amminoacidi che costituiscono le proteine riducendole in segmenti più piccoli, i peptoni; la chimosina favorisce la coagulazione del latte, separando la componente solida, formata da proteine e grassi, da quella liquida. Nei succhi prodotti dal pancreas è contenuta la lipasi che agisce sui grassi. Un altro importante enzima è la lattasi, prodotta nell’intestino, che scinde la molecola del lattosio nei due monosaccaridi costituenti, cioè glucosio e galattosio. Le persone che producono quantità insufficienti di lattasi hanno difficoltà a digerire il latte. Per questo motivo devono evitare sia il latte sia tutti gli alimenti che contengono lattosio, consultando con attenzione le etichette sulle confezioni dei cibi 4
FISSA I CONTENUTI
ESSENZIALI
Sottolinea il termine corretto tra i due proposti.
4
Sulle etichette deve essere indicato con un logo e una scritta se il prodotto è senza lattosio.
1. I processi della digestione in cui il cibo è sminuzzato in piccole parti sono di tipo chimico/ meccanico
2. Il processo che permette ai nutrienti di passare nel sangue si chiama digestione/assorbimento.
3. Il tubo digerente ha una lunghezza di circa 10/2 metri.
4. Il fegato e il pancreas sono ghiandole/organi dell’apparato digerente.
VERSO LE COMPETENZE
Esegui l’esperimento.
Materiali
• 1 litro di latte intero fresco
• un limone
• spremiagrumi
Esecuzione
1. Spremi il limone.
• ciotola
• un telo sottile e pulitissimo
• mestolo forato






2. Metti il latte nella ciotola e aggiungi il succo di limone.
3. Vedrai il latte coagulare. Una volta completato il processo di coagulazione, raccogli la parte solida con il mestolo forato e mettila nel telo.
4. Annoda il telo in modo da formare un sacchetto e lascia sgocciolare il siero.
Otterrai un formaggio naturale al 100% da consumare con l’aggiunta di sale e pepe.
Osserva e rispondi alle domande.
1. Perché è stato scelto il limone per far coagulare il latte?
2. Qual è il suo pH?
3. Potresti usare, al posto del limone, un altro prodotto per cucinare?
4. In quale tratto del tubo digerente avviene questo tipo di reazione?
5. A quale enzima puoi paragonare l’azione del succo di limone?
6. Qual è la composizione della parte solida che si separa?
7. Dopo la coagulazione, dove si concentrano il lattosio e gli altri zuccheri del latte?
I processi meccanici della digestione lezione 2
CARTA PENNA COMPUTER

Le fasi della deglutizione
Guarda il video e scrivi le risposte sul quaderno.
1. Da che cosa viene stimolata la deglutizione?
2. In che modo il bolo è spinto nella faringe?
3. Qual è la funzione dell’epiglottide?
4. Che cosa sono le onde peristaltiche? A che cosa servono?
1 La bocca
ORA FERMA L’IMMAGINE!
Metti in pausa il video nei seguenti punti.



5. Attribuisci a ogni immagine il titolo con la fase della deglutizione corrispondente e scrivi per ciascuna una breve didascalia.
1 Le papille gustative della lingua permettono la percezione del gusto.

Il cibo viene introdotto nell’organismo per mezzo della bocca: qui viene sminuzzato dai denti e rimescolato dalla lingua; subisce anche il primo trattamento chimico per azione degli enzimi contenuti nella saliva.
La bocca è l’apertura delimitata dalle labbra che dà accesso al cavo orale. Il cavo orale è la prima parte del tubo digerente; è delimitato nella parte superiore dal palato, mentre le sue pareti laterali sono le guance. La parte inferiore della bocca è quasi interamente occupata dalla lingua, un organo muscolare che rimescola il cibo sminuzzato dai denti. La lingua è anche la sede del gusto, il senso che, insieme all’olfatto, permette di riconoscere i sapori dei cibi 1 . Nel cavo orale si trovano anche le ghiandole salivari che producono la saliva.
2 I denti
Nella mascella e nella mandibola, le ossa che danno forma al cavo orale, sono infissi i denti, che formano due arcate: quella superiore e quella inferiore che, nel loro insieme, costituiscono la dentatura. Nei bambini la dentatura è formata da 20 denti (i cosiddetti “denti da latte”) privi di radice, che cadono nell’infanzia e vengono sostituiti dalla dentatura permanente. Negli adulti sono presenti 32 denti, 16 per ogni arcata 2 :
• 4 incisivi, larghi e affilati, per tagliare il cibo;
• 2 canini, appuntiti, per strappare;
• 4 premolari;
• 6 molari, robusti, per triturare il cibo schiacciandolo su un’ampia superficie.
2 Nella dentatura permanente l’ultimo molare spunta verso i 18-20 anni d’età e per questo è noto come “dente del giudizio”.


lingua

arcata dentaria superiore
arcata dentaria inferiore
incisivi
L’interno del dente, la polpa dentaria, è la parte viva, ricca di vasi sanguigni e di terminazioni nervose; è la parte sensibile che ci fa sentire il “mal di denti”.
La parte di dente che sporge dalla gengiva è la corona Il colletto collega la corona alla radice.
colletto
smalto
dentina gengiva
incisivi canini premolari
canini
premolari molari
molari
La radice del dente è infissa nell’alveolo dentale, una piccola cavità scavata nell’osso della mascella o della mandibola.
Il dente è formato da alcune parti distinte: la corona, il colletto, la radice e la polpa dentaria 3 . È costituito da un tessuto molto resistente, la dentina; nella corona, la dentina è rivestita dallo smalto, il tessuto più duro del corpo, composto da fosfato di calcio. La radice è avvolta dal cemento. Sui denti si depositano batteri, saliva e residui di cibo, che fermentano facilmente formando la placca dentale
I batteri attaccano i carboidrati degli alimenti formando acidi che possono corrodere lo smalto, determinando la formazione di piccole aperture, le carie 4 . Un poco alla volta la carie si approfondisce: intacca la dentina e raggiunge la polpa, infiammando le terminazioni nervose e provocando il “mal di denti”.



Masticare a lungo e lentamente favorisce una buona digestione e permette di raggiungere più rapidamente il senso di sazietà, il freno psicologico che impedisce di divorare cibo in eccesso. I denti sono dunque preziosi alleati della salute dell’apparato digerente, per questo è importante mantenerli in buono stato.

la carie raggiunge la radice
3 Come è fatto un dente.
4 La formazione della carie.
cemento osso
3 La prima digestione
La saliva contiene acqua e un enzima, la ptialina. L’acqua inumidisce e lubrifica il cibo perché possa essere inghiottito più facilmente. La ptialina agisce sull’amido (il carboidrato presente nel pane, nella pasta, nel riso e in molti altri alimenti di origine vegetale) spezzando la sua molecola in molecole più piccole. Alla fine della masticazione il cibo è ridotto a una poltiglia: è il bolo alimentare. Quando il bolo è pronto per essere deglutito, la lingua lo spinge verso il fondo del cavo orale, dove inizia la faringe, mediante un movimento volontario, la deglutizione 5 .
Il bolo è pronto per essere deglutito. L’aria scende nelle vie respiratorie (freccia blu).
L’epiglottide si abbassa per chiudere le vie respiratorie. Il bolo è obbligato a spostarsi verso l’esofago (freccia verde).
4 La faringe e l’esofago
L’epiglottide riapre le vie respiratorie e riprende il flusso dell’aria.
La faringe è un tratto del tubo digerente a forma di imbuto, lungo 14-15 cm, in comune con l’apparato respiratorio. Per questo motivo dalla faringe transitano sia l’aria inspirata sia il cibo.
6 La manovra di Heimlich.

Al termine della faringe una cartilagine, l’epiglottide, chiude l’ingresso delle vie respiratorie. Grazie all’epiglottide possiamo respirare anche mentre stiamo mangiando. Mangiare lentamente permette anche il corretto funzionamento dell’epiglottide e impedisce che frammenti di cibo possano finire nelle vie respiratorie.
Può tuttavia capitare che il cibo vada a ostruire le vie respiratorie finendo nella trachea, con il rischio di farci soffocare. In questi casi è importante agire rapidamente e in modo efficace, per esempio praticando la manovra di Heimlich 6 , dal nome del medico statunitense che l’ha descritta per primo. Chi pratica la manovra di Heimlich, si posiziona dietro la persona che sta soffocando e la abbraccia intorno ai fianchi. Poi con una mano chiusa a pugno esercita contro l’addome, nella zona tra lo sterno e l’ombelico, una serie di energiche spinte verso l’alto finché non viene espulso il corpo che ostruisce la trachea.
Oltre la faringe, aria e cibo seguono due strade diverse e ben separate: l’aria passa nella laringe, che fa parte dell’apparato respiratorio, mentre il bolo entra nell’esofago L’esofago è un tubo muscolare lungo 20-25 cm, che non svolge nessuna funzione digerente, ma serve da via di transito per il cibo diretto allo stomaco. Il bolo, ben lubrificato dal muco prodotto dalla mucosa che riveste tutto il tubo digerente, scivola nell’esofago e viene spinto nello stomaco da contrazioni coordinate e involontarie dette movimenti peristaltici 7 . I movimenti peristaltici stringono e allargano il tubo digerente e consentono al bolo di avanzare verso lo stomaco.
FISSA I CONTENUTI ESSENZIALI
Segna con una crocetta se vero (V) o falso (F).
1. Il cavo orale è formato da guance e palato.
7 Il meccanismo dei movimenti peristaltici.
esofago
contrazione bolo
parete muscolare dell’esofago
2. La dentatura da latte differisce da quella permanente per il numero di denti.
3. Lo smalto si trova nella polpa dentaria.
4. I movimenti peristaltici dell’esofago sono involontari.
5. L’epiglottide chiude l’ingresso alle vie respiratorie.
6. I denti da latte sono 32.
7. La placca dentale è formata da batteri e residui di cibo fermentato.
VERSO LE COMPETENZE
1. Metti in ordine cronologico le tappe della storia dell’igiene orale (tratto da www.salute.gov.it).
Nel Medioevo europeo non si praticava nessuna igiene orale. L’alimentazione dei nobili era ricca di dolci e i ventagli nascondevano i denti rovinati. Nel caso di dolori ai denti si ricorreva a intrugli disgustosi e spesso si usavano le pinze di un fabbro per le estrazioni, a rischio della vita.
Una tavoletta babilonese del 1800 a.C. racconta la leggenda del verme dei denti, ritenuto responsabile della carie.
Nel mondo attuale si riscontrano gravi disuguaglianze tra i paesi ricchi, dove la cura dei denti ha addirittura aspetti estetici, e i paesi poveri, dove la qualità della vita è segnata pesantemente dalla perdita dei denti per l’impossibilità di accedere alle cure.
Già nella preistoria si pulivano i denti con miscele abrasive ricavate da molluschi o ossa triturate mescolate con miele, e si masticavano bastoncini aromatici.
Nella metà del XIX secolo venne prodotto il primo “miracoloso spazzolino del dottor West” con fibre di nylon e nel 1872 Samuel B. Colgate inventò la prima pasta dentifricia a base di sali minerali ed essenze rinfrescanti.
2. Scrivi le tue personali considerazioni riguardo agli strumenti per l’igiene orale e alle cure dentali che sono a tua disposizione.
I processi chimici della digestione lezione 3
CARTA PENNA COMPUTER

Guarda il video e scrivi le risposte sul quaderno.
1. Perché gli enzimi dello stomaco non attaccano le pareti dello stomaco stesso?
2. Qual è la differenza tra gastrite e ulcera gastrica?
3. Chi ha scoperto l’Helicobacter pylori?
4. Che cosa provoca questo batterio?
ORA FERMA L’IMMAGINE!
Metti in pausa il video nei seguenti punti.

5. Warren e Marshall hanno ricevuto nel 2005 il premio Nobel per la medicina. Descrivi con le tue parole le fasi della sperimentazione che ha permesso ai due scienziati di ottenere questo premio prestigioso.
1
Dall’esofago allo stomaco
I movimenti peristaltici portano il bolo alimentare dall’esofago fino all’ingresso dello stomaco.
Lo stomaco è un organo a forma di sacco, lungo 28-30 cm, con una capacità di circa 1,5 litri. Le sue pareti sono elastiche, in grado di dilatarsi man mano che viene immesso il cibo: esternamente sono costituite da tessuto muscolare liscio, le cui fibre sono disposte in modo verticale, orizzontale e obliquo per favorire i movimenti peristaltici, e internamente dalla mucosa gastrica.
L’accesso allo stomaco è controllato da un muscolo ad anello, il cardias, che si dilata per fare entrare il cibo e successivamente si richiude per impedirgli di risalire nell’esofago. Un altro muscolo ad anello, il piloro, mette in comunicazione lo stomaco con l’intestino 1
La mucosa gastrica è un tessuto di rivestimento ricco di ghiandole che producono il succo gastrico, un liquido costituito da acido cloridrico, enzimi e muco 2 . In particolare, le cellule della mucosa gastrica vicine al cardias producono muco, acido cloridrico e pepsina, quelle centrali acido cloridrico e pepsina, quelle vicino al piloro solo muco.
Il contenuto dello stomaco è acido per la presenza di acido cloridrico, che ha il compito di distruggere eventuali batteri contenuti nel cibo. L’acido cloridrico serve anche a creare un ambiente favorevole all’azione della pepsina, l’enzima del succo gastrico che accelera lo smontaggio delle proteine e le ri-
Un batterio da Nobel
cardias esofago
1 La struttura dello stomaco.
cardias esofago
fibre muscolari

intestino tenue piloro

2 Schema della mucosa gastrica.
superficie interna dello stomaco


rilascio dei succhi gastrici
superficie interna dello stomaco
cellule della mucosa che producono muco e acido cloridrico
rilascio dei succhi gastrici
ghiandole gastriche che producono

duce in corte catene di amminoacidi, i presenti anche altri enzimi: per esempio la gestione dei lipidi, e la , che permette la coagulazione del latte. Il muco, un liquido viscoso prodotto dalle cellule della mucosa gastrica, ricopre le pareti dello stomaco per contrastare gli effetti dell’acido clori drico e degli enzimi digestivi

Contemporaneamente all’azione degli enzimi, i movimenti peristaltici del lo stomaco rimescolano il contenuto e trasformano il bolo alimentare in una poltiglia fluida e biancastra, il chimo. Dopo un tempo variabile da una a cinque ore, il chimo passa attraverso il piloro e raggiunge il primo tratto dell’intestino tenue, dove si completa la digestione chimica degli alimenti.
2 Il duodeno
Dopo lo stomaco ha inizio il tratto più lungo del tubo digerente: l’intestino.
L’intestino è costituito da un tubo lungo circa 8-9 m, ripiegato più volte su se stesso e situato nella parte inferiore dell’addome. È distinto in due parti: intestino tenue e intestino crasso. Iniziamo a vedere come è fatto l’intestino tenue. La lezione successiva è dedicata all’intestino crasso e all’assorbimento dei nutrienti. L’intestino tenue, che è la continuazione dello stomaco, è lungo circa 7 m e viene a sua volta suddiviso in tre porzioni: duodeno, digiuno e ileo. Il primo tratto dell’intestino tenue è il duodeno. Qui si riversano le sostanze prodotte da due ghiandole annesse al tubo digerente: il fegato e il pancreas 4 e si completa la digestione degli alimenti per azione di tre succhi digestivi: il succo enterico, il succo pancreatico e la bile.
4
fegato
cellule della mucosa che producono muco e acido cloridrico
ghiandole gastriche che producono enzimi


3 La mucosa dello stomaco al microscopio.








bile
dotto biliare dotto pancreatico duodeno cistifellea pancreas
mucosa
gastrica
La struttura di duodeno, pancreas e fegato.

Nell’intestino tenue, in ambiente basico, agisce il succo enterico prodotto dalle ghiandole che tappezzano la mucosa di rivestimento, mentre il succo pancreatico è prodotto dal pancreas, una ghiandola che si trova sotto il fegato, dietro allo stomaco. Grazie agli enzimi che contengono, i due succhi agiscono sui peptoni e li trasformano in amminoacidi, sugli amidi e gli zuccheri complessi che sono ridotti in glucosio e fruttosio, e sui grassi che sono trasformati in acidi grassi e glicerolo.
A questo punto interviene la bile, un liquido giallognolo prodotto dal fegato. La bile contiene numerose sostanze, tra cui i sali biliari che emulsionano gli acidi grassi, cioè li trasformano in minute goccioline che possono essere demolite più facilmente dagli enzimi e attraversare le pareti cellulari.
Grazie a questi tre succhi, il chimo proveniente dallo stomaco viene trasformato in un liquido, il chilo, che contiene:
• gli amminoacidi derivati dalla digestione delle proteine;
• i monosaccaridi derivati dalla digestione dei carboidrati;
• acidi grassi e glicerolo derivati dalla digestione dei lipidi;
• acqua, vitamine ed elementi minerali.
3 Fegato e pancreas
Il fegato, la ghiandola più voluminosa del corpo umano, è collocato nella parte destra dell’addome: è diviso in 4 parti ed è attraversato da 1,5 litri di sangue al minuto. Il fegato partecipa alla digestione producendo ogni giorno circa 800 g di bile che viene immagazzinata in una vescichetta, la cistifellea. Durante la digestione, la cistifellea spinge la bile in un condotto, il dotto biliare, che termina nel duodeno. Oltre che nella produzione della bile, il fegato interviene in altri processi:
• insieme al pancreas, tiene sotto controllo la glicemia, cioè la quantità di glucosio nel sangue, evitando che salga troppo durante i pasti o che scenda eccessivamente tra un pasto e l’altro;
• funziona da filtro per molte sostanze tossiche (come l’alcol, le tossine dei funghi velenosi e i medicinali), che poi vengono degradate in sostanze eliminabili dall’organismo. La quantità di tossine che il fegato può demolire, tuttavia, non può superare un certo limite;
Perché si dice che una persona coraggiosa “ha fegato”?
Fin dall’antichità il fegato ha sempre rappresentato un simbolo di coraggio e di forza fisica. Il mito di Prometeo narra il coraggio dell’eroe che rubò il fuoco agli dei per donarlo agli uomini. Zeus, scoperto il furto, lo condannò a essere incatenato per l’eternità a una roccia sulle montagne del Caucaso e dispose che ogni giorno un’aquila gigante gli divorasse il fegato. Ogni notte però il suo fegato ricresceva, così che l’aquila potesse tornare a divorarlo il giorno seguente. Anche se il fegato non è l’organo più robusto del corpo, in questo mito è presente un fondo di verità: è il solo organo capace di una rigenerazione quasi totale. Se, per esempio, in un intervento chirurgico si rende necessario toglierne una parte, nel giro di pochi mesi l’organo riesce a riformarsi totalmente.
• è una riserva di vitamine;
• demolisce i globuli rossi non più funzionanti;
• sintetizza diverse proteine tra cui il fibrinogeno, indispensabile per la coagulazione del sangue.
Il pancreas è una ghiandola di forma allungata che si trova nella parte sinistra dell’addome, dietro lo stomaco. Oltre a produrre il succo pancreatico, il pancreas collabora con il fegato nel controllo della glicemia, riversando nel sangue due ormoni, l’insulina e il glucagone. Quando la glicemia è alta, per esempio dopo un pasto, il pancreas produce insulina che stimola sia le cellule del corpo ad assorbire il glucosio, sia il fegato a trasformarlo in glicogeno, uno zucchero con funzione di riserva, riportando la glicemia a un livello normale. Quando invece la glicemia si abbassa, per esempio quando siamo a digiuno, il pancreas rilascia glucagone, che stimola il fegato a demolire il glicogeno per rilasciare glucosio nel sangue 5 . Quando questo meccanismo non funziona correttamente, per esempio a causa di disfunzioni del pancreas che determinano una ridotta produzione di insulina, nell’organismo insorge una malattia chiamata diabete mellito.
distruzione del glicogeno
glicogeno glucosio
5 Il controllo del glucosio nel sangue.
livello di
rilascio insulina
glucagone insulina
formazione glicogeno assorbimento di glucosio nelle cellule del corpo
FISSA I CONTENUTI ESSENZIALI
Segna con una crocetta se vero (V) o falso (F).
1. Il succo gastrico è composto da acido cloridrico, muco ed enzimi.
2. I muscoli dello stomaco compiono movimenti volontari.
3. Il duodeno è il primo tratto dell’intestino crasso.
4. La bile è prodotta dal fegato.
5. La lipasi inizia la digestione dei lipidi.
Sottolinea il termine corretto tra i due proposti.
1. Il duodeno è il primo tratto dell’intestino tenue /crasso.
2. Il succo pancreatico è prodotto dal fegato /pancreas.
3. Quando la glicemia è alta, il pancreas produce insulina /glucagone
4. Il cardias/piloro unisce lo stomaco all’intestino.
5. Il pancreas è un organo/una ghiandola che si trova dietro lo stomaco.
rilascio glucagone
aumento livello di zucchero nel sangue
diminuzione livello di zucchero nel sangue
alto
zucchero nel sangue
basso livello di zucchero nel sangue
L’assorbimento dei nutrienti lezione 4
LAB STEM
COME RICAVARE UN’AMPIA SUPERFICIE?
L’estensione della parete intestinale è enorme: circa 100 volte la superficie corporea. Capiamo con questo esperimento un modo per ricavare un’ampia superficie in uno spazio ristretto.
■ REALIZZA L’ESPERIMENTO
MATERIALI
• 2 bottiglie uguali di plastica da 2 litri
• taglierino
• un rotolo di carta da cucina
• pennarello
• bacchetta in plastica o in legno
• pinze da cucina

• un piatto o una vaschetta in plastica per alimenti
PROCEDIMENTO







1. Taglia la parte superiore delle bottiglie per ottenere due contenitori cilindrici.
2. Versa la stessa quantità di acqua nei due contenitori.
3. Piega un pezzo di carta da cucina in quattro, facendolo diventare un piccolo quadrato, e introducilo in uno dei contenitori, spingendolo con la bacchetta per immergerlo nell’acqua.
4. Disponi tre pezzi di carta da cucina uno sopra l’altro e ripiegali insieme formando un quadrato simile al precedente. Introducili nell’altro contenitore, immergendoli completamente nell’acqua.
5. Rimuovi con le pinze da entrambi i contenitori la carta bagnata e disponila nel piatto o nella vaschetta.
6. Traccia un segno con il pennarello per indicare il livello dell’acqua rimasta nei due contenitori.
■ OSSERVA E RISPONDI
1. Metti a confronto i livelli dell’acqua rimasta nei due contenitori: che cosa osservi?
2. Come puoi spiegare la differenza tra i due livelli?

3. Che cosa hanno in comune i due quadrati di carta?
4. Quali delle due strutture di carta è più vantaggiosa per l’assorbimento?
5. Scrivi la relazione dell’esperimento.
1 L’assorbimento nell’intestino tenue
Nel duodeno, come abbiamo visto, si completa la digestione chimica degli alimenti. Negli altri due tratti dell’intestino tenue, il digiuno e l’ileo, ha inizio l’assorbimento delle sostanze nutritive presenti nel chilo: i nutrienti attraversano la parete intestinale e passano nel sangue, che li trasporta a tutte le cellule dell’organismo.
La funzione di assorbimento è resa possibile dalla particolare struttura del digiuno e dell’ileo. La loro parete interna è sollevata in numerose pieghe trasversali, le pliche circolari, su cui si trovano milioni di protuberanze a forma di dito: sono i villi intestinali 1 . I villi intestinali tappezzano completamente questo tratto di intestino e sono a loro volta ricoperti da microvilli, microscopiche pieghe della membrana cellulare 2
All’interno di ciascun villo sono presenti un capillare arterioso, un capillare venoso e un capillare linfatico.
Ai vasi sanguigni arriva l’acqua insieme ad amminoacidi, glucosio, fruttosio, vitamine e ai sali minerali, mentre gli acidi grassi entrano nel vaso linfatico.
Le vene dei villi si riuniscono e confluiscono nella vena porta, che porta il sangue al fegato, dove le sostanze assorbite sono controllate e selezionate: glucosio e fruttosio si fermano all’interno della ghiandola e qui sono trasformati in glicogeno. Quando l’organismo richiede energia, il fegato trasforma il glicogeno in glucosio.
Anche i capillari linfatici si riuniscono e passano attraverso particolari strutture, i gangli linfatici, dove la linfa e quanto contiene subisce un controllo prima di essere convogliata al dotto toracico e da lì inserirsi nella corrente sanguigna.
1
L’intestino tenue in sezione.











2 Microvilli al microscopio.
fibre muscolari villi plica circolare
microvilli
capillare venoso
capillare arterioso arteria
muscolatura liscia
vaso linfatico
vena


4 Rappresentazione del microbiota intestinale.
2 L’assorbimento dell’intestino crasso
L’intestino crasso è lungo circa 1,5 m e ha un diametro maggiore dell’intestino tenue. Comprende tre parti: cieco, colon e retto 3 . Il cieco è così chiamato perché costituisce una diramazione a fondo chiuso del tubo digerente. È lungo circa 8 cm e nella parte finale possiede un piccolo prolungamento lungo 6-10 cm, l’appendice, che può infiammarsi e provocare l’appendicite.
Al cieco seguono il colon, distinto in colon ascendente, trasverso e discendente, e il retto, che termina con l’ano, un’apertura regolata da un muscolo circolare, lo sfintere anale
Tutto ciò che non è stato assorbito dall’intestino tenue passa nell’intestino crasso, che è privo di villi. Attraverso le pareti che rivestono il tratto finale dell’intestino crasso avviene un secondo assorbimento, che riguarda l’acqua e i sali minerali: ogni giorno vengono riassorbiti 300-400 ml di acqua e 150 g di sali. I resti del cibo non digerito, costituiti per la maggior parte da fibre vegetali, sono trasformati in masse semisolide, le feci, che vengono espulse attraverso l’ano.
Nel nostro corpo vivono 100 000 miliardi di batteri, contro i 10 000 miliardi di cellule che formano l’organismo. La maggior parte vive nel nostro intestino, dove svolge l’importante funzione di contrastare l’attacco dei batteri patogeni. L’intestino crasso ospita, infatti, un vero e proprio ecosistema di batteri innocui ma utilissimi all’organismo, il microbiota, un tempo chiamato flora batterica intestinale. Il microbiota decompone ulteriormente i residui alimentari, aumenta le difese del sistema immunitario e produce vitamine del gruppo B e la vitamina K; queste sono poi riassorbite dalle pareti intestinali 4

La figura 5 riassume i processi di digestione e assorbimento.
Posso digerire anche a testa in giù?
Il transito del cibo dalla bocca allo stomaco, e dallo stomaco all’intestino, è favorito non solo dalla forza di gravità, che lo fa scendere verso il basso, ma soprattutto dai movimenti peristaltici del tubo digerente. Se non fosse così non si spiegherebbe come fanno a mangiare e digerire il cibo gli astronauti a bordo della Stazione Spaziale Internazionale (ISS), dove la forza di gravità è circa 1/10 di quella presente sulla superficie terrestre!
cieco
retto
appendice
colon intestino
crasso
5 Schema riassuntivo dei processi di digestione e assorbimento.
proteine carboidrati

Processi chimici a tappe
2. Il fegato produce la bile; prima di giungere nel duodeno viene immagazzinata nella cistifellea.
4. Nell’intestino tenue, il cibo parzialmente digerito subisce l’attacco finale di tre succhi digestivi: il succo enterico, il succo pancreatico e la bile.
Gli enzimi contenuti in questi succhi riducono le proteine in amminoacidi, i carboidrati in monosaccaridi e i lipidi in glicerolo e acidi grassi.


amminoacidi
6. Il sangue ricco di nutrienti lascia l’intestino ed è convogliato al fegato per mezzo della vena porta.

monosaccaridi
glicerolo
FISSA I CONTENUTI ESSENZIALI


Sottolinea il termine errato tra i due proposti.
1. Nello stomaco, la pepsina aggredisce le proteine e le scompone negli amminoacidi costituenti. I carboidrati arrivano già parzialmente smontati grazie all’azione di un enzima digestivo, l’amilasi.

3. Il pancreas riversa il succo pancreatico nel duodeno.
acidi grassi

1. Digiuno e ileo sono due tratti dell’intestino tenue/crasso.
2. Gli acidi grassi passano dall’intestino ai vasi sanguigni/linfatici
3. I batteri che formano il microbiota producono vitamina B/C.
4. L’appendice è un prolungamento del cieco/colon
Abbina i termini con la definizione corretta.
5 Ileo
6 Cieco
7 Retto
8 Sfintere anale
5. I villi che ricoprono la parete dell’intestino tenue assorbono i nutrienti.


a Ultimo tratto dell’intestino tenue.
b Muscolo che circonda l’ano.
c Ultimo tratto dell’intestino crasso.
d Tratto chiuso dell’intestino crasso. 1: 2: 3: 4:
EDUCAZIONE CIVICA
Prendersi
cura
dell’apparato
digerente
La digestione è un momento importante della nostra giornata e piuttosto delicato per l’organismo. Dobbiamo fare attenzione anche all’alimentazione e allo stile di vita per mantenere in buona salute gli organi di questo delicato apparato: prendersene cura può attivare un circolo virtuoso che può influenzare positivamente il nostro umore e il nostro benessere psicofisico, come ci viene ricordato il 29 maggio di ogni anno in occasione della Giornata mondiale della salute digestiva.
1 Problemi di stomaco
Un pasto troppo abbondante consumato in fretta, oppure un brusco calo della temperatura del corpo possono provocare l’indigestione, un rallentamento della digestione che si manifesta con un senso di peso allo stomaco, nausea e a volte vomito.
Anche una vita frenetica e stressante che ci obbliga a pasti consumati rapidamente, spesso a base di cibi confezionati, può a lungo andare causare malattie allo stomaco.
Uno dei più frequenti è l’ulcera, una lesione della mucosa dello stomaco (ulcera gastrica) oppure della parete del duodeno (ulcera duodenale) provocata da un’eccessiva secrezione di succo gastrico. Fino a qualche anno fa si pensava che l’ulcera fosse provocata da un eccesso di stress, ma oggi sappiamo che molto spesso si tratta di un’infezione prodotta da un batterio, l’Helicobacter pylori, che riesce a vivere nell’ambiente acido dello stomaco.
2 Il fegato, un laboratorio chimico da difendere
Il fegato svolge l’importantissimo compito di demolire e rendere innocue per l’organismo le sostanze tossiche, come farmaci, alcol e droghe. Questa attività può provocare danni al fegato stesso, quando viene svolta in continuazione e per quantitativi elevati di sostanze tossiche. Un’eccessiva assunzione di bevande alcoliche, per esempio, distrugge progressivamente le cellule di questo organo, provocando la cirrosi epatica, una malattia che può portare alla morte in mancanza di trapianto. L’epatite virale è una grave infiammazione del fegato
provocata da un virus. L’ingestione di cibo contaminato, soprattutto frutti di mare crudi, può provocare l’epatite A. È pertanto consigliabile evitare di mangiare cibi crudi, specialmente se non conosciamo la loro provenienza.
3 Quando il pancreas non funziona
Il pancreas contribuisce ai processi digestivi producendo enzimi specializzati nella demolizione chimica di carboidrati, grassi e proteine. Insieme al fegato, il pancreas svolge l’importante funzione di controllo dei livelli di zucchero nel sangue, grazie alla produzione dell’ormone insulina. Quando la secrezione di insulina si altera insorge il diabete
Nella maggior parte dei casi è possibile tenere sotto controllo il livello di glicemia con una dieta equilibrata e povera di carboidrati, e svolgendo un po’ di esercizio fisico ogni giorno. Nei casi più gravi il diabete si cura con la somministrazione di insulina sotto forma di compresse o iniezioni.
4 Nell’intestino tenue, un’intolleranza alimentare molto diffusa
La celiachia è un’intolleranza alimentare permanente al glutine, una proteina contenuta nei semi di numerosi cereali che entrano abitualmente nella nostra alimentazione: grano, avena, farro e orzo. Nelle persone affette da celiachia il consumo di cibi come pasta, pane, biscotti e pizza scatena una forte risposta allergica a livello dell’intestino, che provoca la perdita progressiva della capacità di assorbimento da parte dei villi intestinali. Attualmente non esiste una cura per la celiachia. I medici consigliano una dieta adeguata senza glutine e cibi che lo possono contenere, compresi quelli che possono entrare a contatto con il glutine durante la loro lavorazione, come salumi, cioccolato e gelati. In commercio esistono cibi specifici per celiaci, segnalati dal simbolo di una spiga barrata sulla confezione 1
5 Problemi del tratto intestinale
Nell’intestino si completano i processi digestivi, avviene l’assorbimento dei nutrienti e vengono eliminate le sostanze indigerite e di rifiuto. Anche l’intestino può avere problemi, per esempio quando mangiamo cibi troppo freddi, oppure contaminati da batteri o virus.
L’intestino si difende provocando la diarrea, cioè l’emissione di feci liquide.
La colite, invece, è un’infiammazione che colpisce il colon, provocata da microrganismi o dal contatto con sostanze irritanti contenute nei cibi 2 . Un’alimentazione corretta e una sana attività fisica possono contrastare l’insorgenza di questi disturbi dolorosi ed evitare che diventino cronici.

1 La spiga barrata è il marchio internazionale per i prodotti senza glutine.
2 Dolori provocati dalla colite.

CON LA SINTESI
lezione 1 LE FUNZIONI E LA STRUTTURA
DELL’APPARATO DIGERENTE
Gli alimenti che introduciamo con la dieta servono all’organismo per ricavare l’energia e i nutrienti necessari alle cellule. La struttura complessa del cibo è ridotta in sostanze semplici dall’apparato digerente attraverso il processo di digestione, nel quale si susseguono processi meccanici che sminuzzano e triturano il cibo, e processi chimici che riducono in molecole semplici le molecole complesse delle proteine, lipidi e carboidrati. Le sostanze nutritive derivate dalla demolizione del cibo passano nelle cellule della parete intestinale e da lì nel sangue e nella linfa grazie al processo di assorbimento. Le parti degli alimenti che l’organismo non è in grado di digerire sono eliminate come rifiuti, sotto forma di feci. L’apparato digerente è formato dal tubo digerente, suddiviso in tratti con funzioni diverse: la bocca, con denti e la lingua, la faringe, l’esofago, lo stomaco, l’intestino e l’ano. Al tubo digerente sono collegate delle ghiandole che producono enzimi necessari al completamento della digestione. La digestione non potrebbe svolgersi senza gli enzimi, particolari proteine che hanno il compito di attivare le reazioni chimiche nelle cellule e farle procedere velocemente. Alcuni enzimi sono la ptialina contenuta nella saliva, la pepsina presente nello stomaco, la lipasi prodotta dal pancreas.
lezione 2 I PROCESSI MECCANICI DELLA DIGESTIONE
Il tubo digerente inizia dalla bocca: le labbra delimitano il cavo orale formato da palato, guance e lingua. All’interno della bocca si trovano i denti: 20 nella dentatura da latte e 32 in quella definitiva. I denti sono formati da corona, colletto, radice e polpa dentaria, dove si trovano terminazioni nervose e vasi sanguigni. I denti si inseriscono nelle ossa della mascella e della mandibola e in base alla loro funzione si dividono in incisivi, canini, premolari e molari. Sui denti si forma la placca dentale, costituita da saliva, batteri e residui di cibo fermentati. Nei casi più gravi possono formarsi le carie, piccole aperture che provocano il mal di denti. I denti rompono il cibo in piccole parti; con l’aiuto della lingua, il cibo masticato e insalivato, chiamato bolo alimentare, è spinto nella faringe con il movimento volontario della deglutizione, per passare poi nell’esofago attraverso il quale, grazie ai movimenti peristaltici involontari, raggiunge lo stomaco.



lezione 3 I PROCESSI CHIMICI DELLA DIGESTIONE
Lo stomaco è un organo a forma di sacco: ha le pareti costituite da tessuto muscolare liscio ed è rivestito internamente dalla mucosa gastrica
Nello stomaco il bolo alimentare, entrato attraverso il cardias, è aggredito dai succhi gastrici che contengono acido cloridrico ed enzimi come la pepsina, che favorisce la rottura delle lunghe molecole delle proteine, la chimosina, che permette la coagulazione del latte, e la lipasi gastrica, che agisce sui grassi. Trasformato in una poltiglia, il bolo diventa chimo, che passa attraverso il piloro nel duodeno, il primo tratto dell’intestino. Qui si completa la digestione delle proteine, dei carboidrati e dei lipidi, grazie all’azione del succo enterico, prodotto dalle ghiandole che si trovano nelle pareti dell’intestino tenue, del succo pancreatico, prodotto dal pancreas, e della bile, prodotta dal fegato. Il chimo diventa chilo, un liquido che contiene amminoacidi, monosaccaridi, acidi grassi e glicerolo, acqua, vitamine ed elementi minerali. Il fegato, che è la ghiandola più voluminosa dell’organismo, produce la bile, che ha il compito di emulsionare i grassi. Il fegato svolge numerose funzioni: agisce come un filtro su molte sostanze tossiche, immagazzina vitamine, demolisce globuli rossi deteriorati, sintetizza il fibrinogeno e controlla, insieme al pancreas, la glicemia. Il pancreas è una ghiandola che, oltre al succo pancreatico, produce insulina, un ormone che stimola sia le cellule del corpo ad assorbire lo zucchero sia il fegato a trasformarlo in glicogeno. Quando l’organismo è in debito di zuccheri il pancreas produce l’ormone glucagone, che stimola il fegato a trasformare il glicogeno in glucosio.
lezione 4 L’ASSORBIMENTO DEI NUTRIENTI
L’intestino è il tratto più lungo del tubo digerente. È diviso in intestino tenue, che comprende il duodeno, il digiuno e l’ileo, e intestino crasso, formato dal cieco, dal colon e dal retto, che termina con l’ano. L’assorbimento delle sostanze nutritive avviene a livello dei villi e dei microvilli intestinali, piccole estroflessioni della mucosa del digiuno e dell’ileo, dove amminoacidi, monosaccaridi, glicerolo e vitamine passano nel sangue. Il sangue ricco di nutrienti raggiunge il fegato per mezzo della vena porta. Gli acidi grassi si riversano invece nel circolo linfatico per poi rientrare nella corrente sanguigna. Nell’intestino crasso avviene il riassorbimento di sostanze utili come acqua, sali minerali e vitamine prodotte dai batteri del microbiota. I resti degli alimenti non digeriti vengono eliminati attraverso l’ano, sotto forma di feci.


CON LA MAPPA
Adesso che hai ripassato i contenuti essenziali con la sintesi, prova a completare la mappa con le parole chiave suggerite e a trovare le definizioni corrispondenti.
bocca - denti - intestino - ptialina - sostanze nutritive - stomaco - succhi gastici
3. processi digestivi meccanici
6. processi digestivi chimici
ad opera di grazie alla che continuano nello


enzimi dove è sottoposto a

dove il

dove si forma il che contiene le che sono assorbite attraverso i subisce l’attacco di e proseguono nell’
a. È il risultato della prima digestione del cibo nella bocca.
b. È il tratto più lungo del tubo digerente.
c. Sono possibili grazie agli enzimi prodotti nei diversi tratti dell’apparato digerente.
d. Insieme all’epiglottide rende possibile la deglutizione.
e. Sono composti da acido cloridrico, enzimi e muco.
4. 8. 7. 10.
entra nel corpo attraverso la
1. IL CIBO
5. lingua
9. bolo alimentare
13. chilo
15. villi intestinali
11.

lezione 1 LE FUNZIONI E LA STRUTTURA DELL’APPARATO DIGERENTE
1 Segna con una crocetta se vero (V) o falso (F).
a. I processi meccanici della digestione non cambiano la struttura chimica degli alimenti.
b. I nutrienti passano nel sangue attraverso il processo di assorbimento.
c. L’apparato digerente è composto dal canale alimentare e da alcune ghiandole.
d. Gli enzimi sono particolari tipi di vitamine.
e. Il tubo digerente è lungo circa 10 metri.
2 Abbina i termini con la definizione corretta.
1. Ptialina
2. Pepsina
3. Chimosina
4. Lipasi
a Enzima che favorisce la coagulazione del latte.
b Enzima che agisce sui grassi.
c Enzima che demolisce l’amido.
d Enzima che riduce le proteine in peptoni.
1. 2. 3. 4.
3 Osserva il disegno e inserisci accanto a ogni termine il numero corrispondente.

a. Ghiandole salivari
b. Bocca

lezione 2 I PROCESSI MECCANICI DELLA DIGESTIONE
4 Osserva il disegno e inserisci accanto a ogni termine il numero corrispondente.


a. Molari
b. Incisivi

c. Premolari
d. Canini
5 Sottolinea il termine corretto tra i due proposti.
a. L’azione dei denti contribuisce al processo meccanico/chimico della digestione.
b. La ptialina è una proteina/un enzima che fa parte della saliva.
c. La faringe/L’epiglottide chiude l’ingresso delle vie respiratorie.
d. Il bolo scende nell’esofago grazie a movimenti peristaltici/contrazioni volontarie.
e. Nell’esofago passa il bolo/muco.
f. Nella dentatura permanente i denti sono 20/32.
lezione 3 I PROCESSI CHIMICI DELLA DIGESTIONE
6 Segna con una crocetta se vero (V) o falso (F).
a. Lo stomaco è un ambiente acido.
b. La chimosina agisce sui carboidrati.
c. Il fegato e il pancreas riversano i loro prodotti nel digiuno.
d. Il pancreas produce la bile.
7 Scegli la soluzione errata.
a. Il fegato:
1 è la ghiandola più voluminosa dell’organismo.
2 produce la cistifellea.
3 controlla la glicemia.
4 sintetizza il fibrinogeno.
b. Il pancreas:
1 produce insulina.
2 rilascia glucagone.
3 produce il succo pancreatico.
4 produce la bile.
c. La mucosa gastrica è:
1 la parte interna dello stomaco.
2 ricca di ghiandole.
3 formata da tessuto muscolare liscio.
4 un tessuto di rivestimento.
8 Completa le frasi inserendo i termini corretti.



a. Il primo tratto dell’intestino tenue è il . Qui si completa la digestione per azione di tre succhi digestivi: il succo , il succo e la bile.
b. Alla fine del processo digestivo il chimo è trasformato in , che contiene , monosaccaridi, acidi grassi e , acqua, e sali minerali.
lezione 4 L’ASSORBIMENTO DEI NUTRIENTI
9 Segna con una crocetta se vero (V) o falso (F).
a. L’assorbimento dei nutrienti avviene attraverso i villi intestinali.
b. Gli amminoacidi entrano nei vasi linfatici.
c. Tutti i tipi di nutrienti assorbiti arrivano alla vena porta.
d. Il microbiota contribuisce ai processi digestivi.


Capillare arterioso
Capillare venoso Vena

d. Arteria
e. Microvilli
f. Vaso linfatico

10 Osserva il disegno e inserisci accanto a ogni termine il numero corrispondente.


11 Scegli la soluzione errata.
a. Il microbiota:
1 decompone ulteriormente i residui alimentari.
2 aumenta le difese immunitarie.
3 produce la vitamina D.
4 è formato da batteri.
b. I villi intestinali:
1 sono ricoperti dai microvilli.
2 si trovano nel digiuno e nell’ileo.
3 contengono vasi sanguigni e linfatici.
4 completano la demolizione degli alimenti.
c. L’intestino crasso:
1 è composta da cieco, colon e retto.
2 ha diametro maggiore dell’intestino tenue.
3 completa la demolizione chimica degli alimenti.
4 permette l’assorbimento di acqua e vitamine.
SPIEGARE I FENOMENI
1 Per ciascun disegno scrivi una didascalia che spieghi le fasi della deglutizione.
APPLICARE CONOSCENZE
2 Osserva il disegno e rispondi.


TRARRE INFORMAZIONI DA UN TESTO
3 Leggi il brano. SENTINELLE PER LA SALUTE
Il nostro apparato digerente può subire gravi danni a causa dell’ingestione di acqua e sostanze alimentari contaminate. A vigilare per evitare il più possibile tale pericolo provvedono i N.A.S., Nuclei Antisofisticazioni e Sanità dell’Arma dei Carabinieri, che sono stati istituiti il 15 ottobre 1962, nel momento in cui si è presa coscienza del fenomeno delle sofisticazioni alimentari, che tanto allarme cominciava a destare nell’opinione pubblica. Vengono principalmente considerate la pericolosità e la nocività degli alimenti. La pericolosità consiste nella possibilità che una sostanza alimentare possa arrecare un danno alla salute. La nocività è l’effettiva constatazione che il consumo di una data sostanza alimentare crea danno alla salute di chi la consuma. Sono puniti a livello penale:
- coloro che danneggiano o adulterano acque o sostanze alimentari prima che siano messe in commercio rendendole pericolose per la salute pubblica;
- coloro che mettono in commercio o distribuiscono acque o alimenti avvelenati, adulterati, contraffatti o mal conservati.
(Tratto da www.salute.gov.it)
Rispondi alle domande e svolgi le attività proposte da solo o in gruppo con i tuoi compagni.
a. Che cosa sono i N.A.S.?
b. Di che cosa si occupano?
c. Come è definita la nocività di un alimento?
a. Quale fenomeno in formazione è rappresentato nel disegno?
b. Quale parte del dente è compromessa nel secondo disegno?

c. Che cosa è avvenuto nel terzo disegno?
d. Ricerca il significato dei seguenti aggettivi riferiti agli alimenti: avvelenati, adulterati, contraffatti.
e. Quali sono i reati che secondo la legge prevedono una punizione?
DIGITAL SKILLS
Perché l’importazione ed esportazione di alimenti è soggetta a regole severe? Ricerca le risposte in rete e realizza una presentazione digitale per illustrare l’argomento.
Patate per colazione
21 MARZO 1835, Ande cilene
IL BLOG

Syms Covington
Ci troviamo nel territorio di Mendoza, in Argentina, e siamo diretti verso il passo di Portillo, sul versante cileno delle Ande. Qui non ci sono quasi alberi e si vedono pochi animali, ma c’è un guanaco che mi sta fissando dall’alto di una roccia, non troppo lontana dal nostro accampamento. Il signor Darwin dice che è un cugino selvatico del lama; i nostri muli non sembrano infastiditi dalla sua presenza, ma osservano ogni tanto un condor che vola alto sopra le nostre teste. Ho raccolto bastoncini e pezzi di legno per accendere il fuoco, e ora ci abbiamo messo sopra una padella per cercare di cuocere delle patate per cena. Non riesco a capire perché, ma l’acqua sta bollendo molto lentamente e le patate rimangono dure e crude. Il signor Darwin, che ha una risposta per ogni cosa, dice che la causa è dell’aria molto rarefatta. Ma io sono stanco di aspettare, ho freddo e anche molta fame. È meglio che vada a dormire: farò una colazione più abbondante domani mattina.

Diario di viaggio
Siamo scesi dal crinale di Pequeñes lungo i versanti orientali delle Ande e ci siamo accampati per la notte nella zona montuosa tra il Pequeñes e il Portillo, le due catene montuose principali. Siamo nel territorio di Mendoza, in Argentina, al confine con il Cile. Usiamo alcune radici di un piccolo arbusto per accendere un fuoco: la vegetazione è scarsa a questa alta quota, oltre 3.300 metri sul livello del mare. Decidiamo di cucinare delle patate, ma l’acqua che abbiamo versato nella padella non riesce a bollire e le patate non cuociono, nemmeno dopo ore e ore! La spiegazione è che, a questa altitudine, la pressione atmosferica è più bassa e anche l’acqua bolle a una temperatura inferiore. Decidiamo di lasciare la padella di patate sul fuoco anche dopo essere andati a dormire, al caldo sotto le coperte, ma al mattino le patate non sono ancora cotte e continuiamo a farle bollire. I miei amici danno la colpa alla padella. Dicono: “La padella è nuova, ma non va bene per cuocere le patate!”. Dopo la colazione, senza patate, ci incamminiamo lungo un difficile sentiero verso il passo di Portillo, che si trova a 4.400 metri sul livello del mare.
Darwin Darwin di ORA RACCONTA TU!
a. Come descrive Sims la zona montuosa delle Ande in cui arriva la spedizione?
b. Quali animali riesce a riconoscere? Cerca qualche informazione e descrivili con le tue parole.
c. Quali compiti gli vengono affidati per preparare la cena per tutto il gruppo?
d. Descrivi con le tue parole le sensazioni che il giovane Sims prova quella sera nell’accampamento.
e. Metti a confronto le spiegazioni che Darwin e i membri della spedizione forniscono relativamente al fatto che le patate non riescono a cuocere: quale delle due non consideri una spiegazione scientifica del fenomeno? Spiega perché.
DIGITAL SKILLS
Ricerca in rete o nel libro di testo la relazione tra altitudine e composizione dell’aria e spiega che cosa vuol dire che l’aria è rarefatta. Collega queste informazioni con il fenomeno fisico dell’ebollizione e spiega perché, salendo in quota, l’acqua bolle a una temperatura diversa da 100 °C.
Intelligenza
Con l’aiuto dell’insegnante chiedi a un chatbot di intelligenza artificiale di fornirti informazioni sulle patate: nome scientifico, origine geografica, principi nutritivi. Ora che possiedi queste informazioni, prova a rispondere a queste domande:
a. Ritieni che un’alimentazione a base di sole patate possa essere completa per l’organismo umano?
b. Di quali principi nutritivi è carente?
c. Quali effetti potrebbe avere sulla salute? Ricerca la spiegazione del motivo per cui le patate non riescono a cuocere a temperature inferiori a 100 °C.
L,’essere umano: complessita, energia e cambiamento

Il ritrovamento di Lucy, un ominide di sesso femminile vissuto in Africa orientale circa 3,4 milioni di anni fa, si è rivelato fondamentale per lo studio dell’evoluzione della nostra specie e ha aperto nuove frontiere sulla conoscenza del sistema uomo. Siamo organismi complessi, ma con geometrie quasi perfette, come affermava anticamente Vitruvio e come Leonardo ha espresso perfettamente con i suoi disegni. Siamo organismi forti ma anche fragili e abbiamo costante bisogno di energia per svolgere le attività di ogni giorno. Ma il modo di vivere degli umani è destinato a cambiare profondamente in un futuro non lontano.
PREREQUISITI
Saper descrivere la struttura e l’organizzazione del corpo umano.
Saper distinguere i principi nutritivi che compongono gli alimenti.
Saper applicare il rapporto che esprime la sezione aurea.
RISULTATI ATTESI
Comprensione della complessità e dell’armonia dell’organismo e le sue trasformazioni nel corso dell’evoluzione.
Conoscenza degli alimenti e dei principi fondamentali di una sana alimentazione.
Capacità di riconoscere le proporzioni auree in natura, arte e architettura.
RACCORDI interdisciplinari
Proponiamo alcuni approfondimenti che possono essere affrontati nel percorso interdisciplinare, ma la mappa suggerisce altri argomenti che possono essere sviluppati per integrare lo stesso percorso.
STORIA: il ritrovamento dell’australopiteco Lucy si è rivelato fondamentale per la comprensione dell’evoluzione della specie umana.
TECNOLOGIA: Come saremo tra vent’anni? Ipotesi su vari aspetti della vita del prossimo futuro.
EDUCAZIONE CIVICA: la prima colazione è un pasto fondamentale che fornisce all’organismo l’energia necessaria per affrontare la giornata.
MATEMATICA: la sezione aurea.
ARTE: i disegni di Leonardo sono alla base dello studio dell’anatomia umana.
IL RITROVAMENTO DEI RESTI OSSEI DELL’AUSTRALOPITECO LUCY
COME SARÀ LA NOSTRA VITA TRA VENT’ANNI?
LA COLAZIONE, PASTO FONDAMENTALE DELLA GIORNATA
CHE COSA SONO I NOVEL FOOD, GLI ALIMENTI DEL FUTURO
LA SEZIONE AUREA
LE PROPORZIONI NELL’UOMO VITRUVIANO
TECNOLOGIA
Come sarà la nostra vita tra vent’anni?
Nel libro Prossimi umani, pubblicato nel 2020, i giornalisti Francesco de Filippo e Maria Frega rispondono a questa domanda. Ecco alcune indicazioni fornite dagli autori:
• nel prossimo futuro saremo assistiti da robot domestici, mentre le applicazioni tecnologiche, come il trapianto di arti artificiali, miglioreranno la nostra salute;
• l’utilizzo di un nuovo materiale, il grafene, provocherà una rivoluzione in ambito tecnologico, grazie alle sue particolari proprietà: per esempio la straordinaria resistenza meccanica superiore a quella dell’acciaio, un’alta conducibilità elettrica e termica, l’eccezionale leggerezza, flessibilità e trasparenza;

• la popolazione umana aumenterà ancora, raggiungendo i 10 miliardi, ma con gravi disequilibri: la crescita sarà elevata in certe aree geografiche, in particolare l’Africa, mentre in altre regioni, come Europa e Cina, l’invecchiamento della popolazione sarà un fattore significativo;
• cercheremo nello spazio nuovi giacimenti di materie prime: la NASA sta studiando le tecniche per agganciare pezzi di asteroidi e, addirittura, metterli in orbita intorno alla Luna per estrarre materie prime con l’impiego di nuove tecnologie.
DOMANDE GUIDA
a. Quali tecnologie miglioreranno la nostra vita?
b. Quali proprietà rendono il grafene un materiale rivoluzionario?
c. Perché gli asteroidi diventeranno importanti per l’economia
DIGITAL SKILLS
PER APPROFONDIRE
La solitudine sociale sarà il problema degli anni a venire perché la dipendenza dai social già tende a prevalere sui rapporti umani: ricerca in rete informazioni su questo fenomeno sociale e rispondi alle domande.
a. Quale ruolo giocano i social nella tua vita quotidiana?
b. Pensi anche tu che nel futuro la vita virtuale sarà prevalente su quella reale? Ti sembra un pericolo?
ARTE
Le proporzioni nell’Uomo Vitruviano
Fu Vitruvio, architetto romano vissuto nel primo secolo a.C., il primo ad affermare che il corpo dell’uomo perfetto si poteva inscrivere, in piedi e con le braccia aperte, entro un cerchio ed entro un quadrato. Ispirandosi a Vitruvio, Leonardo da Vinci disegnò l’Uomo Vitruviano, una rappresentazione che voleva dimostrare la bellezza e l’armonia matematica del corpo umano, espressa attraverso la sezione aurea. Nel disegno di Leonardo, la sezione aurea è applicata alle misure del corpo perché la distanza tra il centro del quadrato, corrispondente all’ombelico, e il lato inferiore del quadrato corrisponde al rapporto aureo del lato del quadrato. Poiché il corpo umano viene inscritto in un quadrato e in un cerchio, le sue proporzioni matematiche sono associate alle forme perfette di queste figure geometriche. Ancora oggi l’Uomo Vitruviano è simbolo di bellezza, armonia, proporzione ed è conosciuto da tutti perché compare sulla moneta da 1 euro.

DOMANDE GUIDA
a. Che cos’è l’Uomo Vitruviano?
b. Che tipo di proporzione è rappresentata?
c. Perché è considerato un simbolo assoluto di bellezza e armonia?
DIGITAL SKILLS
PER APPROFONDIRE
Ricerca in rete qualche esempio di organismi la cui struttura risponde alla sezione aurea.
2
La circolazione della materia alL ’ interno del nostro organismo
Abbiamo iniziato il percorso di conoscenza del corpo umano, dei suoi apparati e sistemi e del loro funzionamento, considerando il nostro organismo come un sistema.
Ma che tipo di sistema è? Per definirlo possiamo osservare quello che deve continuamente accadere per garantirne la sopravvivenza: ogni giorno dobbiamo introdurre materia organica attraverso i cibi che mangiamo, dobbiamo rifornirlo di acqua, indispensabile perché avvengano le reazioni chimiche all’interno delle cellule, dobbiamo respirare ossigeno per mantenere attiva la respirazione cellulare che fornisce energia all’organismo, e allo stesso tempo dobbiamo eliminare le sostanze di rifiuto prodotte dalle stesse reazioni e disperdere l’energia in eccesso.
Tutti questi processi sono possibili grazie al funzionamento coordinato di diversi apparati e sistemi. In particolare, il sistema cardiocircolatorio, strettamente connesso all’apparato respiratorio, distribuisce nutrienti e ossigeno a tutti i tessuti, riceve le sostanze di rifiuto e le elimina attraverso i polmoni, i reni, l’intestino e persino la pelle. Le specializzazioni mediche che si pendono cura della salute di questi sistemi di organi sono numerose: tra queste l’angiologia la cardiologia, la pneumologia, la nefrologia.




respiratorio L’apparato
e l’apparato escretore L’apparato cardiocircolatorio unità 5 immunitario Il sistema linfatico e il sistema unità 6


ALICE BASIRICÒ, medicochirurgo specialistainChirurgiaVascolare
Alice si è laureata in Medicina e Chirurgia, specializzandosi nello studio delle malformazioni vascolari dell’adulto e del bambino e approfondendo la conoscenza delle tecniche di chirurgia endovascolare. Ha svolto l’attività di docente e tutor clinico degli studenti di Medicina e Chirurgia e attualmente lavora come dirigente medico presso il Policlinico di Milano.

ELENA SCOTTI, supervisore pubblicazioniscientifiche



Dopo il diploma di liceo scientifico, Elena ha conseguito un dottorato in Biochimica. Ha trascorso molti anni in laboratori di ricerca internazionali partecipando a numerosi esperimenti per la cura delle malattie metaboliche. Oggi lavora in una multinazionale dove si occupa della produzione di materiale per la divulgazione scientifica sulle riviste mediche, ma anche di poster e diapositive per illustrare argomenti scientifici alle conferenze internazionali.
GIULIA VINCIGUERRA, infermiera
Giulia è infermiera e da anni si occupa dell’assistenza ai pazienti durante la permanenza in ospedale. Ha conseguito un master che le ha permesso di diventare coordinatrice infermieristica del reparto di neurochirurgia dell’ospedale in cui lavora. Grazie alla laurea in Scienze infermieristiche e ostetriche, Giulia spera di gestire progetti di ricerca clinica e ricoprire incarichi universitari.

Luis Pasteur
PARLA LA SCIENZA
4 CORPOUMANO
respiratorio L’apparato unità
lezione 1
LA RESPIRAZIONE
E L’aPPARATO RESPIRATORIO
lezione 2
IL PERCORSO DELL’aRIA
lezione 3
LA RESPIRAZIONE
EDUCAZIONE CIVICA
L’apparato respiratorio in prima linea

LEZIONI POWERPOINT in


BUONE NOTIZIE PER IL FUTURO
Stop all ’inquinamento indoor
La crisi energetica globale ha favorito l’evoluzione della progettazione di case sempre più efficienti dal punto di vista termico, ma in questi ambienti ben sigillati, sebbene energeticamente più efficienti, si possono accumulare sostanze inquinanti a causa della ridotta ventilazione, originando il fenomeno dell’inquinamento indoor. Microrganismi come virus, batteri, muffe, acari della polveri e allergeni di animali domestici sono inquinanti biologici, mentre stufe, fornelli e caldaie possono emettere gas nocivi tra cui l’ossido di carbonio, che è letale. Molti prodotti chimici usati per la pulizia degli ambienti e i lavori di manutenzione, come colle, vernici e materiali formaldeide, benzene e altri composti (VCO). Infine, il fumo di tabacco è uno dei maggiori inquinanti domestici. La buona notizia è che alcune specie di piante risultano essere delle valide alleate per contrastare l’inquinamento delle nostre abitazioni, e anche l’inquinamento urbano. Queste specie sono numerose e possono essere collocate in ogni stanza, anche nelle camere da letto, sfatando così il luogo comune, ancora diffuso, che le piante diventano dannose per la salute durante la notte perché emettono CO2. Tra queste ci sono la Sansevieria cilyndrica, che con le sue foglie cilindriche, rigide e di colore verde scuro, è capace di filtrare efficacemente formaldeide e benzene; Dracaena fragrans, che combatte il monossido di carbonio e il fumo di sigaretta; lo Spathiphyllum che assorbe formaldeide e ammoniaca ed è efficace anche per l’elettrosmog, quindi è ideale in tutte le stanze dove sono presenti i nostri dispositivi tecnologici.


Fumo/Svapo e devastazione polmonare
La respirazione e L’apparato respiratorio lezione 1
LAB STEM
ARIA CHE ENTRA E ARIA CHE ESCE: CHE COSA CAMBIA?
L’aria che inspiriamo è un insieme di gas, principalmente ossigeno e azoto, cui si aggiunge il vapore acqueo. E l’aria che espiriamo? La sua composizione è la stessa? Capiamolo con questo esperimento.
■ REALIZZA L’ESPERIMENTO
MATERIALI
• 2 bottiglie uguali di plastica da 2 litri
• taglierino
• un rotolo di carta da cucina
• pennarello
• bacchetta in plastica o in legno
• pinze da cucina

• un piatto o una vaschetta in plastica per alimenti


PROCEDIMENTO




1. Riempi di acqua la bottiglia e aggiungi un po’ di calce spenta: hai ottenuto l’acqua di calce, che ha la proprietà di diventare torbida a contatto con l’anidride carbonica.
2. Con il cacciavite fai un foro nel tappo di sughero e inserisci la cannuccia ripiegata a L.
3. Riempi d’aria la siringa da pasticceria e svuotala nella bottiglia attraverso la cannuccia.
4. Inspira e soffia nella cannuccia l’aria che espiri.
■ OSSERVA E RISPONDI
1. Come diventa l’acqua di calce a contatto con l’aria immessa dalla siringa?
2. Come diventa quando soffi nella bottiglia l’aria espirata?
3. Che cosa hanno di diverso l’aria della siringa e quella espirata?
4. Qual è la causa della diversa composizione dell’aria inspirata e dell’aria espirata?
5. Scrivi la relazione dell’esperimento.
1 La respirazione polmonare
I principi nutritivi che vengono prodotti dalla digestione del cibo forniscono alle cellule il materiale necessario per riprodursi, ripararsi e compiere le reazioni che le tengono in vita. I nutrienti energetici, in particolare il glucosio, sono anche il combustibile che libera l’energia necessaria per svolgere tutte queste funzioni.
La liberazione dell’energia avviene attraverso una lenta combustione che richiede ossigeno: è questo il motivo per cui l’essere umano, come la gran parte degli esseri viventi, deve introdurre ossigeno nel proprio corpo.
Nell’apparato respiratorio avviene la respirazione polmonare, o respirazione esterna.
Grazie alla respirazione polmonare introduciamo ossigeno e liberiamo anidride carbonica, una sostanza di rifiuto tossica per l’organismo, insieme ad acqua sottoforma di vapore.
2 La respirazione cellulare
L’ossigeno, che entra nei polmoni insieme all’aria che respiriamo, passa nel sangue ed è trasportato in tutto il corpo grazie alla circolazione sanguigna. Raggiunge le cellule e penetra al loro interno.
Nelle cellule avvengono complicati processi che permettono di ricavare l’energia necessaria per compiere le più svariate funzioni: crescere, riprodursi, produrre le sostanze necessarie al funzionamento cellulare, eliminare le sostanze di rifiuto.
Il processo avviene all’interno dei mitocondri, organuli cellulari che possono essere paragonati a piccole “centrali energetiche”: è qui che il glucosio reagisce con l’ossigeno attraverso un processo di combustione che produce energia, liberando anidride carbonica e acqua 1 .
Il processo che avviene nei mitocondri si chiama respirazione cellulare o respirazione interna.










1 La respirazione cellulare avviene nei mitocondri.












2 L’equazione chimica della respirazione cellulare.
La respirazione cellulare è un insieme di reazioni chimiche molto complesse che avvengono in una sequenza ben precisa. Nel corso della respirazione cellulare, una molecola di glucosio reagisce con sei molecole di ossigeno: si producono sei molecole di anidride carbonica, sei molecole di acqua ed energia 2

respirazione
3 Modi diversi di respirare.
L’anidride carbonica compie il percorso inverso rispetto all’ossigeno: fuoriesce dalle cellule e passa nel sangue, che la trasporta ai polmoni; infine è espulsa dall’organismo attraverso l’espirazione. Respirazione polmonare e respirazione cellulare sono in diretto collegamento tra loro. Gli animali, invertebrati e vertebrati, a seconda dell’ambiente in cui vivono, adottano strategie diverse per respirare 3
L’energia prodotta incessantemente all’interno dei mitocondri è necessaria al metabolismo dell’organismo, l’insieme delle reazioni chimiche che avvengono in ogni vivente e ne permettono la sopravvivenza.
L’energia è sia di tipo termico, cioè calore, e determina la temperatura corporea, sia di tipo cinetico, cioè legata ai movimenti corporei. Durante l’inverno, quando la temperatura esterna è più bassa, occorre che la nostra dieta sia composta da alimenti ricchi di nutrienti energetici, come carboidrati e grassi; durante l’estate, invece, l’apporto di questi nutrienti dovrebbe ridursi per non produrre calore in eccesso.


Negli insetti sono presenti le trachee, sottili tubi che comunicano con l’esterno.
Molti animali acquatici sono provvisti di ripiegamenti esterni della superficie corporea, le branchie. anidride carbonica.

La
cellulare

3 Gli organi dell’apparato respiratorio
L’apparato respiratorio è composto dalle vie respiratorie, una serie di condotti collegati tra loro che permettono all’aria di entrare nell’organismo, e dai polmoni 4 L’accesso dell’aria avviene attraverso le prime vie respiratorie, costituite dalle cavità nasali (il naso), dalla cavità orale (la bocca), dalla faringe e dalla laringe
In seguito l’aria passa nella via respiratoria a livello del torace, la trachea. Infine entra nei polmoni, due organi voluminosi costituiti dai bronchi e da sottili ramificazioni, i bronchioli, che terminano con numerosissime vescichette, gli alveoli polmonari
4 L’apparato respiratorio.
faringe laringe trachea
cavità nasali
cavità orale
polmone destro polmone sinistro
bronchi
bronchioli
FISSA I CONTENUTI ESSENZIALI
Segna con una crocetta se vero (V) o falso (F).
1. La reazione di ossigeno e glucosio produce energia, acqua e anidride carbonica.
2. La respirazione interna avviene nei polmoni.
3. L’aria inspirata passa attraverso l’esofago.
4. I bronchioli terminano con gli alveoli polmonari.
EDUCAZIONE CIVICA
L’apparato respiratorio in prima linea
La Giornata mondiale dell’asma, che cade il secondo martedì di maggio, e la Giornata mondiale della lotta contro il fumo, che si celebra il 31 maggio, costituiscono due appuntamenti annuali dedicati alla protezione delle vie respiratorie.
Perché sono state istituite addirittura due giornate? Perché le vie respiratorie sono la “prima linea” dell’organismo: insieme all’aria inspirata, batteri e virus, polveri e gas inquinanti e fumo penetrano con estrema facilità nei polmoni e possono provocare infezioni e malattie anche gravi agli organi dell’apparato respiratorio.
Giornata mondiale dell’ asma

1 Il raffreddore si trasmette facilmente attraverso starnuti e colpi di tosse.
1
31 MAGGIO
GIORNATA MONDIALE DELLA LOTTA
CONTRO IL FUMO
Proteggiamo le prime vie respiratorie
Il raffreddore e l’influenza sono infezioni delle prime vie respiratorie prodotte da diver si tipi di virus; si tratta di malattie non particolarmente preoccupanti per le quali la cura migliore è restare al caldo e a riposo, per permettere al nostro organismo di combatte re l’infezione con le proprie difese immunitarie 1 .
Guai però a trascurare queste malattie: se non viene ben curato, un raffreddore può trasformarsi in sinusite, un’infezione che colpisce le mucose del setto nasale e delle cavità presenti in alcune ossa della faccia.
Il mal di gola è un’infiammazione della faringe (faringite) che causa difficoltà di deglu tizione, o della laringe (laringite) che può portare alla perdita temporanea della voce. Si tratta di infezioni causate da batteri che attaccano il primo tratto dell’apparato respi ratorio: il fumo di sigaretta, l’abuso di alcol e l’inalazione di sostanze irritanti possono favorire le infezioni delle prime vie aeree.

2 Bronchite e polmonite
La bronchite è un’infiammazione dei bronchi. Può essere causata da batteri o virus che si insediano nella parete dei bronchi e infettano le cellule, le quali reagiscono con un’abbondante secrezione di muco. Per liberare le vie respiratorie dal muco si tossisce, ma la tosse provoca un’ulteriore irritazione dei bronchi che causa una produzione di muco ancora più abbondante. La polmonite è una grave infiammazione degli alveoli polmonari, che impedisce lo scambio dei gas respiratori che normalmente avviene attraverso le loro pareti, rendendo la respirazione molto difficoltosa. Talvolta l’infiammazione può colpire le membrane pleuriche che rivestono i polmoni: in tal caso si parla di pleurite; se invece colpisce l’intero albero bronchiale si ha la broncopolmonite
3 Le allergie respiratorie
Le allergie respiratorie sono tra i disturbi più diffusi. Ci sono persone allergiche ai pollini dei fiori, ai peli dei gatti, alla polvere di casa e a tanti altri agenti. Una reazione allergica si verifica quando il nostro sistema immunitario risponde in maniera esagerata all’ingresso di sostanze estranee nel corpo, scatenando starnuti, colpi di tosse, produzione abbondante di muco e lacrimazione. Rientrano in questo gruppo la rinite allergica, detta anche raffreddore da fieno, e l’asma bronchiale. Questa, in particolare, è una patologia causata dall’infiammazione e dall’improvviso restringimento dei bronchi e dei bronchioli 2
4 Il fumo
Secondo i dati dell’OMS, l’Organizzazione Mondiale della Sanità, il fumo di tabacco è la più grande minaccia per la salute umana e il primo fattore di rischio delle malattie croniche non trasmissibili. Si stima che a livello mondiale fumatori e fumatrici siano circa un miliardo, di cui circa l’80% vive in paesi a basso e medio reddito, dove si registra il maggior numero di malattie collegate al tabacco e la mortalità è più alta. Anche il fumo passivo, cioè l’inalazione di aria inquinata dal fumo, ha esisti negativi sulla salute e può causare malattie respiratorie che possono condurre alla morte. In Italia il numero di coloro che fumano sta calan000 persone muoiono per cause legate al fumo.

2 Un attacco d’asma provoca tosse e difficoltà respiratorie; può essere fermato con broncodilatatori e antinfiammatori.


SE NON FUMI DA...
pressione del sangue e pulsazioni tornano a valori normali. si normalizza il livello di ossigeno nel sangue. il senso del gusto e dell’olfatto migliorano.
migliorano circolazione e respirazione e la pelle è più luminosa. il rischio di infarto torna a essere quasi uguale a quello di un non fumatore. non c’è più nicotina in circolo.
Il percorso delL’aria lezione 2
CARTA PENNA COMPUTER

Il meccanismo della fonazione
Guarda il video e scrivi le risposte sul quaderno.
1. Quali sono gli organi della fonazione?
2. In che condizioni sono le corde vocali quando siamo in silenzio?
3. Come vengono prodotti i suoni?
4. Perché possiamo produrre suoni diversi?
ORA FERMA L’IMMAGINE!
Metti in pausa il video nel seguente punto.
5. Spiega con un breve testo che cos’è l’apparato risonatore e descrivi gli organi che lo formano.
1 Le vie respiratorie superiori.
cavità nasali
cavità orale faringe
epiglottide
corde vocali
pomo d’Adamo
laringe
La mucosa olfattiva.


cellule che producono muco impurità ciglia




CONTENUTI DIGITALI

1 L’aria entra dal naso e dalla bocca
Le vie respiratorie mettono in comunicazione l’aria dell’ambiente in cui ci troviamo e i polmoni. Possono essere distinte in superiori 1 e inferiori.
L’aria entra nel corpo umano sia dal naso sia dalla bocca. Nel naso si trovano le cavità nasali, due canali ricchi di piccolissimi vasi sanguigni, i capillari, coperti dalla mucosa olfattiva, in cui si trovano cellule munite di ciglia vibratili e cellule capaci di produrre muco 2 .
All’interno delle cavità nasali l’aria viene a contatto con i capillari, si umidifica e si riscalda. Inoltre il muco, che è denso e viscoso, imprigiona le particelle di polvere, gran parte dei batteri e dei virus contenuti nell’aria e li espelle grazie ai movimenti delle ciglia vibratili. Per questi motivi, respirare con il naso è meglio che respirare con la bocca.
Le cavità nasali e la bocca comunicano con la faringe, il tratto delle vie respiratorie che comunemente chiamiamo gola. Dal canale della faringe passano sia l’aria sia il cibo ingerito: quando inghiottiamo un boccone di cibo o beviamo un sorso d’acqua, l’epiglottide si abbassa in modo da chiudere l’accesso alle vie respiratorie.


Lasciata la faringe, l’aria passa nella laringe 3 . La laringe è un organo a forma di imbuto rovesciato, sostenuto da parti di cartilagine: la più grande di queste forma il cosiddetto pomo d’Adamo, una sporgenza che è più accentuata nei maschi adulti. Nella laringe si trovano quattro pieghe che costituiscono le corde vocali, specializzate nella produzione dei suoni. Le corde vocali sono l’organo della fonazione, quello che ci permette di parlare: la loro lunghezza è di circa 2-3 cm.
Quando siamo in silenzio, le corde vocali sono rilassate; quando invece i muscoli della laringe si contraggono, le corde vocali si avvicinano e vibrano al passaggio dell’aria, permettendo l’emissione dei suoni. I movimenti della lingua e delle labbra modulano i suoni e li trasformano in una straordinaria varietà di “parole”.
2 L’aria percorre le vie respiratorie inferiori
Lasciata la laringe, l’aria percorre le vie respiratorie inferiori 4 : riscaldata e umidificata, fluisce nella trachea. La trachea è un tubo rigido e flessibile che si trova davanti all’esofago. È formata da una parete di tessuto muscolare liscio e da anelli di cartilagine aperti posteriormente che permettono all’esofago di dilatarsi al passaggio del cibo.
Le pareti della trachea sono rivestite da cellule ciliate e da cellule che producono muco; le ciglia, vibrando, sospingono verso l’alto il muco in cui sono rimaste intrappolate le impurità dell’aria. Particelle o microrganismi estranei sono spinti verso la faringe, dove possono essere inghiottiti o espettorati con colpi di tosse.
3 Vista anteriore della laringe.
4 Le vie respiratorie inferiori.
Perché Anna e Luca hanno un diverso timbro della voce?
Il diverso timbro di voce di uomini e donne non dipende solo dalle corde vocali: sebbene nei due sessi presentino alcune differenze anatomiche, come la lunghezza e lo spessore, il timbro di voce (acuto nelle donne, profondo negli uomini) è determinato dalla laringe. Nelle donne la laringe si trova in posizione più alta, rispetto alla colonna vertebrale, che negli uomini e ciò determina una diversa lunghezza del tratto vocale. Inoltre, donne e uomini respirano in maniera diversa: nelle donne prevale la respirazione costale, mentre negli uomini la respirazione costale è combinata con quella addominale.
anelli di cartilagine

trachea
pomo d’Adamo
osso ioide laringe


membrana tiroidea
cartilagine tiroidea
cartilagine cricoide
osso ioide
bronchi
bronchioli
lezione 2 • IL PERCORSO DELL’ARIA


La struttura dei polmoni.
Nel torace, la trachea si divide in due canali, destro e sinistro, che formano i bronchi, ciascuno dei quali entra nel rispettivo polmone. Qui i bronchi si dividono ripetutamente in migliaia di condotti sempre più piccoli e sottili, i bronchioli, dal diametro di circa 1 mm. A loro volta, le estremità dei bronchioli si espandono a formare dei rigonfiamenti, gli alveoli polmonari: sono queste le minuscole superfici dove avviene lo scambio di gas tra l’ambiente e il corpo.
Negli alveoli polmonari termina il percorso dell’aria nell’apparato respiratorio.
3 I polmoni
Bronchioli, alveoli, capillari sanguigni e tessuto connettivo costituiscono i polmoni 5 I polmoni sono due organi voluminosi, dalla forma di cono con la punta rivolta verso l’alto; occupano la maggior parte della cavità toracica e poggiano sul diaframma, un muscolo a forma di cupola. Le ossa della gabbia toracica (le costole e lo sterno) proteggono i tessuti delicati che costituiscono i polmoni.
I polmoni aderiscono alla parete toracica grazie a due membrane di tessuto connettivo, le pleure: una pleura aderisce al polmone, l’altra alla cavità toracica. Tra le due pleure si trova il liquido pleurico: la sua funzione è ridurre l’attrito e facilitare lo scorrimento reciproco delle due membrane durante i movimenti respiratori.
Il polmone destro è parzialmente diviso in tre sezioni, i lobi polmonari, mentre il polmone sinistro, più piccolo, è formato solo da due lobi, per lasciare spazio al cuore.
I polmoni hanno una consistenza spugnosa per la presenza di centinaia di milioni di alveoli, disposti come grappoli d’uva all’estremità dei bronchioli più sottili 6
Ciascun alveolo ha un diametro di appena un decimo di millimetro; è delimitato da una parete sottilissima ed è circondato da una fitta rete di capillari sanguigni.
L’area dei polmoni è straordinaria: se potessimo distendere tutti gli alveoli, copriremmo una superficie di 80-100 m2, che è un’estensione paragonabile a quella di un campo da tennis!



Gli alveoli polmonari.
ramo di un’arteria polmonare


ramo di una vena polmonare bronchiolo
alveolo in sezione capillari sanguigni

alveolo
4 Starnuti, tosse e… sbadigli
Le vie aeree devono essere tenute ben pulite per impedire che impu rità e microrganismi penetrino nei polmoni. Per fare que sto il nostro organismo ha a disposizione degli flessi, dei “trucchi” per eliminare al più presto qualunque cosa sia riuscita a penetrare passando dalla bocca e dal naso.
Con gli starnuti ci liberiamo delle particelle entra te dal naso, e con un bel colpo di tosse a espellere quelle che sono arrivate alla gola.
E gli sbadigli? Il meccanismo che ci fa sbadiglia re non è ancora del tutto chiaro: sbadigliamo quando siamo annoiati, oppure abbiamo sonno, fame, o stiamo digerendo. In tutti questi casi lo sbadiglio provoca un pro fondo ricambio dell’aria: in alcune zone delle vie respiratorie, infatti, l’aria “ri stagna” più che in altre, ed è per questo che l’organismo mette in atto questo importante riflesso ripulitore e rigene ratore 7

FISSA I CONTENUTI ESSENZIALI
Sottolinea il termine corretto tra i due proposti.
1. L’epiglottide impedisce l’accesso alla faringe/laringe
2. La trachea è sostenuta da anelli cartilaginei/ossei.
3. Le pleure rivestono i polmoni all’interno/all’esterno

7 Lo starnuto e lo sbadiglio sono atti respiratori involontari.
4. La respirazione esterna termina negli alveoli polmonari/nei bronchioli.
VERSO LE COMPETENZE
Chi frequenta le grandi altezze conosce bene l’ipossia, l’improvvisa mancanza di ossigeno che ha obbligato i pionieri delle scalate sull’Himalaya a usare le maschere di ossigeno per raggiungere le vette.
Contrariamente a quanto si pensa, le difficoltà di respirazione non sono dovute alla diminuzione delle molecole di ossigeno presenti nell’aria, ma alla differenza di pressione con la quale arrivano agli alveoli polmonari: se a livello del mare la pressione atmosferica è mediamente di 760 millibar, sulla vetta dell’Everest è 236 millibar.
Tuttavia, anche una salita a 3500 m di altezza in pochi minuti, cosa che le moderne funivie consentono con facilità, può provocare il mal di montagna. Per questo motivo si consiglia sempre di far scendere immediatamente di quota la persona con difficoltà respiratorie. Rispondi alle domande.
1. Che cos’è l’ipossia?
2. Da che cosa è causata?
3. Quale nome viene anche dato all’ipossia?
La respirazione lezione 3
Guarda il video e scrivi le risposte sul quaderno.
CARTA PENNA COMPUTER

1. Quante sono le fasi della respirazione polmonare?
2. Da che cosa è determinata l’inspirazione?
3. Perché l’espirazione è un’attività passiva?
4. In quali condizioni l’espirazione diventa un’attività attiva?
L’aria che inspiriamo ha la stessa composizione di quella che espiriamo?

In condizioni normali, gli adulti respirano dalle 12 alle 20 volte al minuto e circa 20 000 volte al giorno. Questo significa che riusciamo in media a inalare ed esalare circa 8 litri di aria al minuto e 11 520 litri d’aria al giorno. Se con l’inspirazione inaliamo ossigeno insieme agli altri gas che compongono l’aria, nel corso dell’espirazione espelliamo anidride carbonica, gas di rifiuto della respirazione cellulare, ma anche molta acqua. La prova l’abbiamo quando le temperature si abbassano: l’acqua espirata condensa e diventa visibile sotto forma di una nuvoletta di microgoccioline.
Metti in pausa il video nei seguenti punti.


5. Descrivi che cosa avviene durante le due fasi della respirazione polmonare.
1 L’atto respiratorio
Ogni volta che respiri, introduci ed espelli aria. Queste funzioni avvengono in due fasi: l’inspirazione e l’espirazione
Durante l’inspirazione l’aria entra nei polmoni; durante l’espirazione l’aria viene espulsa dai polmoni.
Un’inspirazione seguita da un’espirazione costituiscono un atto respiratorio.
I movimenti respiratori non possono essere svolti attivamente dai polmoni, perché essi non sono formati da fibre muscolari e perciò non possono contrarsi.
I polmoni si gonfiano con l’aria inspirata e si svuotano di quella espirata grazie ai movimenti di muscoli diversi: il diaframma e i muscoli intercostali che si inseriscono tra una costola e l’altra 1 .
• Durante l’inspirazione, i muscoli intercostali si contraggono, spingendo le costole verso l’alto e verso l’esterno; allo stesso tempo si contrae il diaframma, che si appiattisce e si abbassa. Il risultato di queste due contrazioni è che la gabbia toracica aumenta di volume e i polmoni si possono espandere, permettendo all’aria di fluire dall’esterno fino agli alveoli.
Gli atti respiratori
ORA FERMA L’IMMAGINE!
1 Le fasi della respirazione.
1. I muscoli intercostali si contraggono.
1. I muscoli intercostali si contraggono.
3. Il torace si amplia e il volume dei polmoni aumenta.
3. Il torace si amplia e il volume dei polmoni aumenta.
polmone
polmone
INSPIRAZIONE ESPIRAZIONE
INSPIRAZIONE ESPIRAZIONE
4. La pressione dell’aria nei polmoni diminuisce e “risucchia” aria verso l’interno.
4. La pressione dell’aria nei polmoni diminuisce e “risucchia” aria verso l’interno.
4. L’aria esce dai polmoni.
4. L’aria esce dai polmoni.
aria inspirata aria espirata
2. Il diaframma si contrae e si abbassa.
2. Il diaframma si contrae e si abbassa.
1. I muscoli intercostali si rilassano.
1. I muscoli intercostali si rilassano.
aria inspirata aria espirata
3. Il torace si restringe e si riduce lo spazio disponibile per i polmoni.
3. Il torace si restringe e si riduce lo spazio disponibile per i polmoni.
• Durante l’espirazione, il diaframma si rilassa e ritorna alla sua forma originaria; anche i muscoli intercostali si rilassano e fanno abbassare le costole. Di conseguenza il volume della gabbia toracica diminuisce, i polmoni vengono compressi e così espellono l’aria spingendola verso la bocca o verso il naso.
Durante una normale fase di inspirazione introduciamo circa 0,5 litri di aria: questa quantità si chiama aria corrente. Se però forziamo l’inspirazione, cioè dilatiamo al massimo la gabbia toracica, aggiungiamo all’aria corrente altri 1,5 litri, che costituiscono l’aria complementare Il volume massimo dei polmoni rappresenta la capacità polmonare; in un adulto va dai 4 ai 6 litri circa.
Durante l’espirazione eliminiamo da 0,5 litri di aria in modo normale a 1 litri in modo forzato, cioè comprimendo al massimo la gabbia toracica.
I polmoni tuttavia non si svuotano mai completamente, perché contengono sempre circa 1,5 litri di aria residua 2 Il numero di atti respiratori al minuto è detto frequenza respiratoria e dipende dall’età e dall’attività che si svolge: in media sono circa 16-18 nell’adulto, ma nei neonati possono essere anche 40. Inoltre, quanto più l’attività è intensa, tanto più il ritmo del respiro aumenta, fino a cinque volte quello normale.
Il volume d’aria che può essere espulso tra un’inspirazione forzata e un’espirazione forzata si chiama capacità vitale e si aggira intorno ai 3,5 litri. Atleti e cantanti devono aumentare la loro capacità vitale e questo è possibile solo grazie a un esercizio costante e prolungato.
2. Il diaframma si rilassa e si solleva.
2. Il diaframma si rilassa e si solleva.
2 Anche al massimo dello sforzo, i polmoni non si svuotano mai del tutto.

3 Lo scambio dei gas.
2
Gli scambi gassosi negli alveoli
Una volta che l’aria è arrivata negli alveoli polmonari, avviene il processo più importante della respirazione polmonare: lo scambio di gas 3
Al loro esterno gli alveoli sono circondati da una fittissima rete di capillari sanguigni: al termine di ogni inspirazione e prima della successiva espirazione, tra le sottilissime pareti degli alveoli e dei capillari avvengono gli scambi di gas. L’ossigeno, contenuto insieme al vapore acqueo negli alveoli, passa per diffusione al sangue che scorre nei capillari e si combina con l’emoglobina dei globuli rossi, formando l’ossiemoglobina. Lo scambio dei gas è possibile perché l’ossigeno negli alveoli ha una pressione maggiore e viene “spinto” nei capillari, mentre l’anidride carbonica ha pressione maggiore nei capillari e passa negli alveoli. Il sangue poi trasporta l’ossigeno a tutte le cellule e raccoglie l’anidride carbonica, il prodotto di rifiuto della respirazione cellulare. Quando il sangue ritorna ai polmoni l’anidride carbonica percorre il tragitto inverso: dal sangue, sempre per diffusione, passa agli alveoli e da qui ai polmoni e alle vie respiratorie superiori, dove l’anidride carbonica viene espulsa dall’organismo con l’espirazione. Tutti questi scambi di gas avvengono mediamente due volte ogni minuto e deteriorano velocemente i globuli rossi, che devono essere sostituiti dall’organismo.
aria espirata aria inspirata
Il sangue ricco di anidride carbonica arriva all’alveolo.
parete dell’alveolo
Il sangue arricchito di ossigeno esce dal polmone.
L’anidride carbonica passa dal sangue agli alveoli. L’ossigeno passa dagli alveoli al sangue.
3 La regolazione della respirazione
La normale respirazione, come altre funzioni vitali fondamentali, è un’azione involontaria: non puoi dimenticarti di respirare!
La frequenza respiratoria è regolata automaticamente per rispondere ai fabbisogni dell’organismo, ma entro certi limiti è possibile controllare volontariamente il ritmo della respirazione, come accade quando parliamo, suoniamo uno strumento a fiato o nuotiamo 4
La frequenza respiratoria è controllata dal centro della respirazione, un gruppo di cellule del sistema nervoso situate alla base del cervello. Il centro della respirazione determina automaticamente il ritmo di base della respirazione normale inviando comandi al diaframma e ai muscoli della gabbia toracica, che si contraggono. Cessato lo stimolo, i muscoli si rilassano e avviene l’espirazione. Il centro della respirazione tiene sotto controllo le variazioni nel sangue dell’anidride carbonica, che è tossica: quando la concentrazione di CO2 aumenta, dal centro della respirazione partono degli impulsi nervosi che fanno aumentare la frequenza degli atti respiratori; quando invece la concentrazione di CO2 è bassa, il ritmo degli atti respiratori rallen ta. In particolare, quando l’organismo è sotto sforzo, il bat tito cardiaco accelera e, di conseguenza, aumenta anche la frequenza respiratoria, e viceversa, creando uno stret to legame tra l’apparato respiratorio e quello circolatorio.
4 Per suonare bene uno strumento a fiato come

FISSA I CONTENUTI ESSENZIALI
Abbina i termini con la definizione corretta.
1 Atto respiratorio
2 Muscoli intercostali
3 Centro della respirazione
4 Capacità polmonare
5 Frequenza respiratoria
a Volume massimo di aria nei polmoni. b È formato da una inspirazione seguita da una espirazione.
c Numero di atti respiratori al minuto. d Si contraggono durante l’inspirazione.
e Gruppo di cellule del sistema nervoso che controlla la frequenza respiratoria.
1: 2: 3: 4: 5:
VERSO LE COMPETENZE
Spesso ci troviamo con il fiato “corto” in un momento di particolare emozione o dopo una attività intensa, semplicemente perché non utilizziamo il diaframma in modo corretto. Come possiamo capirlo? Perché il diaframma è così importante?
Realizza questo esperimento.
1. Sdraiati sulla schiena con le gambe piegate e i piedi ben appoggiati per terra.
2. Appoggia una mano sul torace, in modo da percepire il movimento delle costole, e una sulla parte alta dell’addome, in modo da “sentire” il diaframma.
3. Fai qualche respiro normale. Annota mentalmente i movimenti che percepiscono le tue mani.
4. Fai ora dei respiri profondi. I movimenti che senti sono gli stessi?
Nella respirazione normale lavorano molto i muscoli intercostali, mentre il diaframma rimane pressoché immobile e si attiva solo in caso di una respirazione forzata. In quale modo un intervento efficace del diaframma in condizioni di respirazione normale ti può essere di aiuto?
CON LA SINTESI
lezione 1 LA RESPIRAZIONE
E L’APPARATO RESPIRATORIO
La respirazione polmonare consiste nell’ingresso dell’ossigeno nell’organismo e nel suo passaggio nel sangue per essere portato a tutte le cellule del corpo. L’ossigeno è il combustibile necessario per permettere al glucosio di liberare l’energia contenuta nelle sue molecole. Una volta raggiunte le cellule, nei mitocondri avviene la reazione tra ossigeno e glucosio e la produzione di energia, anidride carbonica e acqua.
Questo processo prende il nome di respirazione cellulare. L’apparato respiratorio è composto dalle vie respiratorie e dai polmoni.
Il naso, la bocca, la faringe e la laringe formano i condotti delle vie respiratorie che hanno il compito di trasportare l’aria verso la trachea e i polmoni.
lezione 2 IL PERCORSO DELL’ARIA

Le vie respiratorie permettono l’ingresso dell’aria dall’ambiente esterno e la convogliano ai polmoni: sono distinte in vie respiratorie superiori e inferiori. L’aria entra nell’organismo sia dal naso sia dalla bocca. Il naso è formato dalle cavità nasali, provviste di cellule munite di ciglia e di cellule che producono il muco.
In seguito, l’aria passa attraverso la faringe e la laringe, in cui si trovano le corde vocali. L’aria poi passa attraversa la trachea che presenta pareti di tessuto muscolare liscio ed è rinforzata da anelli di cartilagine.
La trachea si divide nei due bronchi, a loro volta ramificati nei bronchioli che terminano negli alveoli polmonari, dove avvengono gli scambi gassosi tra l’ambiente e il corpo. I polmoni si trovano nel torace e sono protetti dalle costole della gabbia toracica; inferiormente poggiano sul diaframma, un muscolo che, contraendosi, favorisce lo svuotamento e il riempimento dei polmoni.

Le pleure sono due membrane di tessuto connettivo: una aderisce al polmone, l’altra alla parete della cavità toracica. Tra le due pleure è presente il liquido pleurico, con il compito di ridurre l’attrito tra le due membrane durante i movimenti respiratori.

lezione 3 LA RESPIRAZIONE
La respirazione è un’azione involontaria. Il numero di atti respiratori compiuti in un minuto costituisce la frequenza respiratoria, che è controllata dal centro della respirazione, un gruppo di cellule situate alla base del cervello.
Gli scambi di ossigeno e anidride carbonica avvengono negli alveoli polmonari. L’ossigeno passa per diffusione dagli alveoli ai capillari sanguigni: il sangue lo trasporta a tutte le cellule dell’organismo e raccoglie l’anidride carbonica, che percorre il tragitto inverso fino alle vie respiratorie superiori, da cui è espulsa.
L’atto respiratorio è diviso in due fasi: inspirazione ed espirazione. Durante l’inspirazione i muscoli intercostali e il diaframma si contraggono provocando l’aumento di volume della cassa toracica e l’espansione dei polmoni. Di conseguenza, l’aria fluisce dall’esterno e riempie i polmoni.
Durante l’espirazione i muscoli intercostali e il diaframma si rilassano facendo diminuire il volume della gabbia toracica; i polmoni sono compressi e l’aria è spinta verso l’esterno. Normalmente, in una inspirazione introduciamo 0,5 litri di aria, ma la capacità polmonare di un adulto può arrivare anche a 6 litri. Durante l’espirazione i polmoni contengono sempre 1,5 litri di aria residua.

CON LA MAPPA
Adesso che hai ripassato i contenuti essenziali con la sintesi, prova a completare la mappa con le parole chiave suggerite e a trovare le definizioni corrispondenti.
alveoli polmonari - faringe - mitocondri - ossigeno - polmoni - respirazione internavie respiratorie superiori
è distinto in
2.
4. fornisce all’organismo che avviene nei
5.
e permette l’eliminazione di che è il prodotto di rifiuto della
3. anidride carbonica
che comprendono
7. naso e bocca 8.
10. vie respiratorie inferiori
dove si trovano i
11.
13. scambi gassosi 6.
a. Processi che avvengono negli alveoli polmonari.
b. Tratto dell’apparato respiratorio che comprende i polmoni.
c. Sostanza eliminata dall’apparato respiratorio.
d. Primi organi attraverso cui l’aria entra nell’organismo.
e. Tratto dell’apparato respiratorio chiamato gola.
che racchiudono gli



dove avvengono gli
9. laringe
1. L’APPARATO RESPIRATORIO
lezione 1 LA RESPIRAZIONE
E L’APPARATO RESPIRATORIO
1 Scegli la soluzione corretta.
a. Quale tra i seguenti è l’elenco corretto degli organi che formano l’apparato respiratorio?
1 Naso, faringe, laringe, trachea, esofago, bronchi, bronchioli, alveoli polmonari.
2 Naso, bocca, faringe, laringe, trachea, bronchi, bronchioli, alveoli polmonari.
3 Bocca, faringe, esofago, bronchi, bronchioli, polmoni.
4 Naso, bocca, faringe, laringe, trachea, bronchi, bronchioli, polmoni.
b. Dove avviene la respirazione esterna?
1 Nelle vie respiratorie.
2 Nei mitocondri.
3 Nelle vie respiratorie e nei polmoni.
4 Nelle cellule.
c. Il sangue trasporta:
1 ossigeno.
2 acqua.
3 acqua e anidride carbonica.
4 ossigeno e anidride carbonica.
2 Completa le frasi con i termini corretti.
a. Nell’apparato respiratorio avviene la respirazione che consiste nell’introduzione di e nell’emissione di
b. Nei delle cellule avviene la respirazione , cioè il processo di demolizione del per produrre energia.
c. L’apparato respiratorio è composto dalle , e dai .

3 Osserva il disegno e inserisci accanto a ogni termine il corrispondente numero.





a. Acqua
b. Anidride carbonica
c. Energia
d. Glucosio
e. Ossigeno
lezione 2 IL PERCORSO DELL’ARIA
4 Sottolinea il termine corretto tra i due proposti.
a. Le cavità nasali e la bocca comunicano con la faringe/laringe
b. Le corde vocali si trovano nella faringe/laringe.
c. La trachea/L’esofago si divide per formare i bronchi.
d. I polmoni sono organi contrattili/inerti.
e. Il polmone destro è più grande/piccolo del polmone sinistro.
5 Abbina i termini con la definizione corretta.
1. Trachea
2. Corde vocali
3. Pleure
4. Bronchioli
a Membrane che rivestono i polmoni.
b Ramificazioni dei bronchi.
c Organi della fonazione.
d Tubo semirigido in cui scorre l’aria.
1. 2. 3. 4.
6 Scegli la soluzione errata.
a. Il liquido pleurico:
1 si trova tra le due pleure.
2 facilita lo scorrimento delle pleure.
3 aumenta l’attrito tra le membrane pleuriche.
4 favorisce la dilatazione dei polmoni.
b. Sono atti riflessi:
1 gli starnuti.
2 le contrazioni del diaframma.
3 gli sbadigli.
4 i colpi di tosse.
c. Il polmone destro e il polmone sinistro:
1 sono due organi dalla forma a cono.
2 sono divisi in sezioni dette lobi polmonari.
3 hanno le stesse dimensioni.
4 sono formati da tessuto spugnoso.
7 Osserva il disegno e inserisci accanto a ogni termine il corrispondente numero.
lezione 3 LA RESPIRAZIONE
8 Segna con una crocetta se vero (V) o falso (F).
a. Negli alveoli polmonari avviene la respirazione interna.
b. La frequenza respiratoria è controllata dal centro della respirazione.
c. Il diaframma è un muscolo che si inserisce tra le costole.
d. Un atto respiratorio è formato da un’inspirazione e un’espirazione.
e. Il volume massimo dei polmoni è la capacità polmonare.
f. L’ossigeno passa dagli alveoli ai capillari per diffusione.
9 Completa le frasi con i termini corretti.
a. Durante l’inspirazione i si contraggono e il si abbassa così che l’aria può entrare nei polmoni e raggiungere gli
b. Durante l’ i muscoli intercostali si rilassano e il diaframma si alza: i vengono compressi permettendo all’aria contenente di uscire all’esterno.
c. I polmoni non si svuotano mai completamente perché contengono residua. Per svuotarli occorre un forzato o uno
d. Una volta che l’aria è arrivata negli alveoli polmonari avviene lo scambio di gas per e l’ossigeno respirato entra nei dove è meno
10 Metti nella sequenza corretta le fasi dell’inspirazione.
a. Faringe
b. Cavità orale
c. Corde vocali
d. Epiglottide
e. Pomo d’Adamo
f. Laringe
g. Cavità nasali
a. Il diaframma si contrae e si abbassa.
b. Il muscoli intercostali si contraggono.
c. La pressione dell’aria nei polmoni diminuisce.
d. Il torace si amplia e il volume dei polmoni aumenta.
e. L’aria è risucchiata all’interno dei polmoni.
OSSERVARE E RIFLETTERE
1 Osserva il disegno.
a. Quale tessuto è rappresentato nel disegno?
b. Quali organi riveste?

c. Quali funzioni svolge?
APPLICARE CONOSCENZE
2 Osserva il disegno.
Gli alveoli polmonari sono uno dei migliori esempi della possibilità di aumentare la superficie di un organo mantenendolo in un piccolo spazio. Rispondi alle domande.
a. Sapresti riconoscere strutture simili in altri apparati studiati fino ad ora?




b. Ricerca in rete informazioni inserendo nel motore di ricerca le parole chiave “rapporto superficie/volume animali”.
SAPER STUDIARE E COMUNICARE
3 Spiega l’azione dei muscoli coinvolti negli atti respiratori.






b. Durante l’espirazione:




c. Qual è la differenza di composizione tra aria inspirata e aria espirata?
RICONOSCERE MODELLI E
3 4 Completa il disegno inserendo i nomi delle molecole coinvolte in questa reazione.
Rispondi alle domande.
1. Quali sono i due nomi con i quali viene indicata questa reazione?
2. Che tipo di reazione avviene tra glucosio e ossigeno?
3. Che cosa sono i mitocondri?
4. Perché si possono definire le “centrali energetiche” delle cellule?
RICERCARE INFORMAZIONI IN RETE
4 5 Il fumo passivo è una miscela formata dal fumo liberato dalla combustione della sigaretta e da quello esalato dal fumatore. Ricerca in rete informazioni sul fumo passivo.
1. Il fumo passivo reca danni alla salute?
2. Quali sono i provvedimenti in atto per ridurre l’esposizione al fumo passivo?
TRARRE INFORMAZIONI DA UN’IMMAGINE E SPIEGARE

6 Nell’immagine al microscopio elettronico sono visibili granuli di polline di piante diverse.
a. Quali strutture cellulari sono in grado di intercettare e trattenere i granuli di polline?
b. In quali parti dell’apparato respiratorio sono presenti?
c. Qual è il loro compito principale?
d. Come vengono eliminati i corpi estranei?
TRARRE INFORMAZIONI DA UN TESTO
7 Leggi il brano.
COME CI ATTACCA IL CORONAVIRUS
La membrana mucosa che riveste l’interno delle cavità nasali è probabilmente “l’anello debole” della catena che il coronavirus SARS-CoV-2 spezza per far breccia nell’organismo umano: gli scienziati hanno scoperto che le cellule più facilmente infettabili sono quelle del naso, e quelle meno facilmente infettabili sono quelle che tappezzano le parti più profonde dei polmoni. Questa tendenza è praticamente sovrapponibile con l’abbondanza del recettore cellulare ACE2, che il coronavirus SARS-CoV-2 usa per accedere alle cellule: esso è presente in maggiore quantità nel naso ed è meno diffuso nelle vie aeree inferiori. Una volta che il patogeno si è stabilito nel naso, può raggiungere le vie respiratorie profonde attraverso l’inspirazione di secrezioni, e causare forme più gravi della malattia. Un’altra scoperta interessante riguarda i bersagli preferiti del nuovo coronavirus, che sembra infettare esclusivamente due tipi di cellule respiratorie, quelle epiteliali di rivestimento e i pneumociti dei polmoni, che aiutano a trasferire l’ossigeno inalato al sangue. Il virus SARS-CoV-2 sfrutta due enzimi che si trovano sulla superficie di molte cellule umane, per riorganizzare le proprie proteine e migliorare le capacità di infettare e replicarsi.
(Tratto da www.focus.it)
Rispondi alle domande e svolgi le attività proposte.
a. Qual è l’anello debole dell’organismo nei confronti del coronavirus?
b. Quale recettore usa il virus SARS-CoV-2 per penetrare nelle cellule?
c. Quali tipi di cellule vengono infettate?
d. Come fa il virus a rafforzare le sue capacità infettive?
DIGITAL SKILLS
Ricerca in rete il significato dei seguenti termini: - recettore cellulare - cellule epiteliali - pneumociti

HEALTHY PROPERTIES


OF PLANTS
Some plants have beneficial properties for the health of our respiratory system. Let’s find out about them together.
Turmeric • Turmeric is a plant that provides an orangecoloured spice. It has powerful anti-inflammatory properties that can help reduce inflammation of the lungs. It can also help boost the immune system and reduce symptoms of asthma and other respiratory diseases.
Ginger • Ginger is known for its ability to help eliminate congestion and reduce mucus production. It can also be used to reduce inflammation of the lungs and throat.
Peppermint • Peppermint has been used for centuries to relieve symptoms of asthma, bronchitis and other respiratory diseases. It can also be used to reduce inflammation of the lungs and throat.
Eucalyptus • Eucalyptus has powerful anti-inflammatory properties and can be used to reduce inflammation of the respiratory system. It can also be used in the form of an inhalant to reduce congestion and improve breathing.
COMPREHENSION EXERCISES
Read the text and answer the questions.
a. Which plant has been used for the longest time?
b. Which plant provides a spice that is orange in colour?
c. Which plant helps to reduce mucus production?



SPICE spezia
LUNGS polmoni
INHALANT farmaco per inalazioni
lossario
TURMERIC EUCALYPTUS

unità
l’apparato escretore L’apparato cardiocircolatorio e 5 CORPOUMANO
lezione 1
L’aPPARATO CARDIOCIRCOLATORIO
lezione 2
I VASI SANGUIGNI
lezione 3
LA CIRCOLAZIONE DEL SANGUE
lezione 4
L’aPPARATO ESCRETORE
EDUCAZIONE CIVICA
Le malattie dell ’apparato cardiocircolatorio e dell ’apparato escretore

LEZIONI POWERPOINT in

BUONE NOTIZIE PER IL FUTURO
high tech
classificazione dei gruppi sanguigni più noti e famosi sono il sistema AB0 e quello RH, ma in realtà ne esistono moltissimi altri che dipendono dalla presenza di diversi tipi di antigeni sulla membrana dei globuli rossi. L’ultimo in ordine (Myelin And Lymphocyte), il quarantasettesimo sistema di classificazione dei gruppi sanguigni riconosciuto a livello internazionale. Il nome deriva dalla scoperta della mancanza di un antigene chiamato AnWj sulla membrana dei globuli rossi. AnWj è prevalente nel 99,9% della popolazione e la sua mancanza può essere indice di gravi patologie del sangue: riconoscerla è essenziale per la sicurezza delle trasfusioni perché può evitare fenomeni di rigetto. Per i pazienti che hanno bisogno di trasfusioni regolari, la ricerca sta puntando sulla creazione di “sangue artificiale”. Dal 2017 all’Università di Bristol, nel Regno Unito, globuli rossi artificiali a partire da cellule staminali estratte dal midollo osseo di volontari sani, o dal sangue di donatori, grazie a microscopiche sfere magnetiche. L’Unione Europea ha recentemente progetto SynEry che ha l’obiettivo di produrre in laboratorio una molecola lipidica con le caratteristiche chiave dei globuli rossi. Anche l’Italia contribuisce al progetto: l’Unità di Nanomedicina e Ingegneria Tissutale di San Giovanni Rotondo sta sviluppando una struttura da inserire all’interno di queste cellule, un citoscheletro sintetico utile per inserire gli altri componenti cellulari.
L’apparato cardiocircolatorio lezione 1
COMPUTER
CARTA PENNA



Guarda il video e scrivi le risposte sul quaderno.

1. Perché l’organismo ha costantemente bisogno di ossigeno?
2. In quali tipi di capillari entra l’ossigeno a livello degli alveoli polmonari?
3. Quali sono le cellule del sangue che catturano i globuli rossi?
4. Quali sono le caratteristiche del sangue che esce dall’aorta e scorre nel sistema dei vasi arteriosi?
5. Che cosa succede quando il sangue raggiunge le cellule?
1 Le funzioni e la struttura dell’apparato cardiocircolatorio
Tutte le cellule del corpo hanno bisogno di ricevere acqua, sali minerali, sostanze nutritive e ossigeno e di eliminare le sostanze di rifiuto, come l’anidride carbonica prodotta durante la respirazione cellulare. Questo è possibile grazie all’apparato cardiocircolatorio. Oltre alla funzione di trasporto delle sostanze utili e di quelle dannose, l’apparato cardiocircolatorio ha altri compiti:
• la termoregolazione, per mantenere costante la temperatura interna del corpo grazie alla distribuzione del calore;
• la difesa dell’organismo attraverso alcune cellule specializzate nell’attaccare e distruggere i microrganismi patogeni e le sostanze pericolose come veleni e tossine.
L’apparato cardiocircolatorio interagisce con molte altre parti dell’organismo 1 :
• scambia nutrienti e ossigeno con le cellule, ricevendo sostanze di rifiuto e anidride carbonica prodotte dall’attività cellulare;
• porta all’apparato escretore sostanze di rifiuto e acqua;
• riceve dall’apparato digerente principi nutritivi, acqua, sali minerali e vitamine;
• riceve l’ossigeno dall’apparato respiratorio e porta a esso l’anidride carbonica da eliminare.
L’apparato cardiocircolatorio è formato da organi e tessuti con caratteristiche molto diverse:
• il sangue è un tessuto connettivo fluido; partecipa alla difesa dell’organismo e consente il trasporto delle sostanze e del calore;
• il cuore è l’organo che pompa il sangue nei vasi sanguigni distribuiti in tutto il corpo;
• i vasi sanguigni, distinti in arterie, vene e capillari, distribuiscono il sangue ai tessuti e riportano al cuore il sangue proveniente dai tessuti stessi.
La ricerca di Hasler
A cavallo di una molecola di ossigeno

acqua
apparato escretore

tutte le cellule del corpo
nutrienti ossigeno
sostanze di rifiuto anidride carbonica
APPARATO CARDIOCIRCOLATORIO
sostanze di rifiuto
anidride carbonica ossigeno

2 Il sangue
apparato respiratorio
nutrienti acqua
sali minerali vitamine
introduzione di cibo e acqua
apparato digerente

introduzione di ossigeno
Il sangue è un particolare tipo di tessuto connettivo, fluido e viscoso, visibile quando ci tagliamo o ci sbucciamo un ginocchio. Scorre alla velocità media di 2 km/h e ne possediamo all’incirca 5 litri. È formato per circa la metà da una parte liquida, il plasma, e per l’altra metà da una parte corpuscolata 2 Il plasma è composto da acqua in cui sono disciolte varie sostanze: i principi nutritivi (zuccheri, lipidi, amminoacidi, elementi minerali, vitamine), sostanze di rifiuto dell’attività cellulare (scorie contenenti azoto e anidride carbonica), sostanze che regolano il funzionamento dell’organismo (gli ormoni) e alcuni tipi di proteine (enzimi e anticorpi).
La parte corpuscolata è costituita dalle cellule del sangue: globuli rossi, globuli bianchi e piastrine. In un millilitro di sangue si trovano circa 5 000 000 di globuli rossi, da 4000 a 10 000 globuli bianchi e 300 000 piastrine.
3 I globuli rossi
I globuli rossi sono le cellule del sangue specializzate nel trasporto dell’ossigeno e dell’anidride carbonica.
Hanno un diametro di 6-8 µm e la forma di un disco con le due facce incavate al centro 3 I globuli rossi, chiamati anche eritrociti (dal greco erythrós, “rosso”, e cy´tos, “cellula”), non hanno nucleo e perciò non possono riprodursi; vengono continuamente generati da cellule specializzate contenute nel midollo rosso delle ossa. Hanno una vita media di circa 4 mesi, ma ogni secondo 2-3 milioni di globuli rossi vengono immessi nel sangue e un uguale numero viene distrutto dal fegato e dalla milza (un organo che si trova a sinistra dello stomaco e fa parte del sistema linfatico).
I globuli rossi contengono un gran numero di molecole di emoglobina, una proteina che conferisce loro il caratteristico colore rosso. L’emoglobina è la molecola che permette ai globuli rossi di trasportare l’ossigeno e l’anidride carbonica: ogni molecola di emoglobina contiene 4 atomi di ferro, ciascuno in grado di legarsi a 1 molecola di ossigeno. Di conseguenza una molecola di emoglobina può legare 4 molecole di ossigeno.
1 I collegamenti tra l’apparato cardiocircolatorio e le altre parti dell’organismo.
2 La composizione del sangue.
plasma (55%)
piastrine globuli bianchi 1%
globuli rossi (44%)
3 Globuli rossi.

4 La formazione di ossiemoglobina e di carbodiossiemoglobina.
globulo rosso con ossiemoglobina

l’ossigeno passa nei tessuti
5 I gruppi sanguigni.
globulo rosso con carbodiossiemoglobina


globulo rosso
A
l’anidride carbonica passa nel sangue




Nei capillari che circondano gli alveoli polmonari l’emoglobina si lega all’ossigeno e forma l’ossiemoglobina, una molecola di colore rosso brillante. Arrivata ai tessuti, l’ossiemoglobina si scinde e cede l’ossigeno alle cellule; l’emoglobina si lega quindi con l’anidride carbonica e forma la carbodiossiemoglobina, dal colore rosso scuro 4
I globuli rossi con carbodiossiemoglobina sono trasportati dal sangue fino ai capillari polmonari; qui l’anidride carbonica si distacca e passa negli alveoli, permettendo all’emoglobina di legarsi di nuovo all’ossigeno.
Sulla superficie dei globuli rossi sono presenti particolari proteine, i marcatori, in grado di riconoscere le cellule che appartengono al nostro corpo. Negli esseri umani sono stati scoperti due tipi di marcatori, indicati con le lettere A e B. In base al tipo di marcatore presente oppure assente sui globuli rossi, è stato possibile distinguere quattro gruppi sanguigni differenti: A, B, AB e 0 (zero) I globuli rossi del sangue di gruppo A possiedono marcatori A, quelli del gruppo B marcatori B, quelli del gruppo AB presentano sia marcatori A sia marcatori B. I globuli rossi di gruppo 0 non possiedono né marcatori A né marcatori B. 5 . Conoscere il proprio gruppo sanguigno è molto importante nel caso sia necessaria una trasfusione di sangue, per esempio durante un’operazione chirurgica o dopo una grave emorragia. Le persone di gruppo A possono ricevere sangue dai gruppi A e 0, così come le persone di gruppo B lo possono ricevere dai gruppi B e 0. Le persone di gruppo AB sono riceventi universali, perché possono ricevere sangue di qualunque gruppo. Infine, le persone di gruppo 0 possono ricevere solo sangue del gruppo 0; sono invece donatori universali perché possono donare a un ricevente di qualunque gruppo.








Nel 1940 è stato scoperto un altro marcatore sui globuli rossi: è il fattore Rh. Circa l’85% degli esseri umani possiede il fattore Rh e perciò queste persone sono definite Rh+ (si legge “erre acca positivo”); le persone che non possiedono il fattore Rh sono dette Rh– (“erre acca negativo”).


marcatore A
marcatore
GRUPPO A
GRUPPO B
GRUPPO AB
GRUPPO 0
4 I globuli bianchi
I globuli bianchi difendono l’organismo dall’attacco di virus, batteri, parassiti e sostanze pericolose.
I globuli bianchi, chiamati anche leucociti (dal greco leukós, “bianco”, e cy´tos, “cellula”), sono cellule provviste di nucleo; le loro dimensioni variano da 6 a 20 µm. Normalmente sono tondeggianti, ma possono cambiare forma: sono capaci di emettere dei prolungamenti (detti pseudopodi), oppure di assottigliarsi per attraversare le pareti dei vasi capillari e muoversi tra le cellule dell’organismo, raggiungendo le parti del corpo che richiedono il loro intervento.
Esistono diversi tipi di globuli bianchi, ciascuno specializzato in una particolare tecnica difensiva. Per esempio, i macrofagi cambiano forma: emettono pseudopodi con i quali circondano il corpo estraneo e lo fagocitano, cioè lo inglobano; infine lo digeriscono grazie agli enzimi. I linfociti invece producono gli anticorpi, proteine che neutralizzano gli agenti patogeni 6 . (L’azione degli anticorpi sarà spiegata nell’Unità successiva.)
I globuli bianchi sono prodotti dalle cellule del midollo osseo, della milza e dei linfonodi (piccoli ammassi di tessuto del sistema linfatico). Tuttavia, avendo il nucleo, sono anche in grado di riprodursi: vivono da pochi giorni ad alcuni anni. In un millilitro di sangue sono presenti da 4 000 a 10 000 globuli bianchi a seconda delle condizioni di salute. Infatti, quando nell’organismo si sviluppa un’infezione vengono prodotti in quantità assai maggiore.
5 Le piastrine
Le piastrine sono frammenti di cellule che hanno il compito di favorire la coagulazione del sangue.
Quando il sangue fuoriesce dai vasi sanguigni, per esempio in seguito a una ferita, le piastrine bloccano l’emorragia, cioè la perdita di sangue, attraverso la formazione di una masserella solida, il coagulo Nel punto in cui il vaso sanguigno è lesionato, le piastrine si aggregano per formare una specie di tappo che rallenta la fuoriuscita di sangue. Successivamente, esse stimolano la produzione di una particolare sostanza che agisce sul fibrinogeno, una proteina del plasma, trasformandola in un’altra proteina, detta fibrina. La fibrina forma sulla ferita una rete che intrappola le cellule del sangue: è il coagulo, che chiude la ferita 7 . A contatto con l’aria, il coagulo si secca e diventa quella che chiamiamo “crosta”. Le piastrine, che derivano anch’esse da cellule del midollo osseo, vivono in media 10 giorni.
VERSO LE COMPETENZE
Rispondi alle domande.
1. Quali sono le funzioni dell’apparato cardiocircolatorio?

7 I filamenti di fibrina intrappolano i globuli rossi.

2. A quale apparato vengono convogliate l’acqua in eccesso e le sostanze di rifiuto prodotte dalle cellule?
3. Da quali parti è costituito il sangue?
4. Quale funzione svolgono le piastrine?
i vasi sanguigni lezione 2
CARTA PENNA COMPUTER


Esplora l’oggetto interattivo e scrivi le risposte sul quaderno.
La scoperta della circolazione sanguigna
1. Perché la circolazione del sangue all’interno del corpo è di vitale importanza?
2. Confronta le caratteristiche dell’apparato cardiocircolatorio descritte da Galeno con quelle descritte da Harvey: quali sono i punti in comune? Quali le differenze?
3. Che cosa non riuscì a spiegare Harvey? Quale altro grande scienziato trovò la risposta? Quale strumento utilizzò?
4. Ricorda quanto hai studiato lo scorso anno: quali sono le differenze tra l’apparato cardiocircolatorio degli animali vertebrati e quello degli invertebrati?
1 Dove scorre il sangue?
L’apparato cardiocircolatorio è formato, oltre che dal sangue, anche dai vasi sanguigni e dal cuore. I vasi sanguigni costituiscono un percorso chiuso in cui il sangue scorre grazie alla spinta che gli viene impressa dal cuore. Esistono tre tipi di vasi sanguigni: le arterie, le vene e i capillari. Essi si distinguono soprattutto per il verso in cui scorre il sangue al loro interno e per la struttura delle loro pareti.
L’apparato cardiocircolatorio degli esseri umani è un sistema chiuso: il sangue scorre nei vasi sanguigni senza mai uscirne. A livello dei capillari il sangue scambia sostanze con le cellule che formano gli organi di tutti gli altri apparati del corpo.
2 Le arterie
Le arterie hanno pareti robuste ed elastiche, costituite da due strati di fibre elastiche e da uno strato di fibre muscolari lisce, che dilatandosi e contraendosi favoriscono lo scorrimento del sangue. Lo strato epiteliale interno è l’endotelio 1
Le arterie trasportano il sangue dal cuore a tutti gli organi del corpo.
tessuto connettivo
La struttura di un’arteria.

La ricerca di Hasler
endotelio membrane elastiche
tessuto muscolare liscio
Nelle arterie scorre sangue arterioso, cioè sangue ricco di ossigeno e povero di anidride carbonica. Fanno eccezione le arterie polmonari, nelle quali scorre il sangue carico di anidride carbonica che dal cuore viene inviato ai polmoni.
Le arterie si trovano in profondità, ma in alcuni punti del corpo affiorano sotto la pelle, per esempio nel collo e nel polso; se premi leggermente queste arterie puoi avvertire le pulsazioni del sangue.
L’arteria più grande del nostro corpo è l’aorta; essa parte dal cuore e si suddivide nelle arterie carotidi, che portano il sangue alla testa, nelle succlavie, dirette alle braccia, e nelle iliache, dirette al bacino.
3
Le vene
Le pareti delle vene sono meno spesse e meno contrattili di quelle delle arterie, perché contengono poche fibre muscolari 2
Nelle vene scorre sangue venoso, cioè sangue ricco di anidride carbonica e sostanze di rifiuto. Fanno eccezione le vene polmonari, che portano il sangue al cuore dopo che si è ricaricato di ossigeno nei polmoni.
Le vene trasportano il sangue da tutte le parti del corpo verso il cuore.
Le pareti delle vene, povere di fibre muscolari, non possono contrarsi. Per questo motivo il sangue vi scorre lentamente, soprattutto negli arti inferiori. Per impedire che il sangue si fermi, intervengono i muscoli delle gambe: contraendosi, essi schiacciano le vene e imprimono al sangue un nuovo impulso che lo spinge a ritornare verso il cuore.

tessuto connettivo
Il flusso del sangue è favorito anche da speciali valvole situate all’interno delle vene, chiamate per la loro forma valvole a nido di rondine: esse funzionano come una porta che si apre solo nella direzione in cui scorre il sangue e poi si richiude, impedendo al sangue di tornare indietro

verso il cuore
verso il cuore
muscoli scheletrici contratti
muscoli scheletrici contratti


muscoli scheletrici rilassati
2 La struttura di una vena.
valvola a nido di rondine
muscolare liscio





3 Il funzionamento delle valvole a nido di rondine.
valvola aperta
valvola aperta
valvola chiusa
valvola chiusa
valvola aperta
vena
endotelio
tessuto
membrana elastica
Le vene scorrono più in superficie rispetto alle arterie e si possono intravedere sotto la pelle della mano. Tra le vene, quelle di diametro maggiore sono la vena cava superiore, che raccoglie il sangue proveniente dalla testa, e la vena cava inferiore, che raccoglie il sangue della parte inferiore del corpo 4
Perché il livido sulla mia gamba cambia di colore?
Se il livido che ti sei fatto è rosso-violaceo si tratta di una ecchimosi, un travaso di sangue in un tessuto, causato da traumi o contusioni, che danneggia le pareti dei vasi sanguigni. I globuli rossi, riversati nei tessuti, sono fagocitati dai macrofagi e, per azione di specifici enzimi, l’emoglobina è trasformata in bilirubina, che determina la trasformazione di colore da viola a verde. Un trauma subìto da poche ore appare rossoblu, dopo 4-6 giorni il colore tende al verde, dopo una settimana scolorisce, fino ad assumere un colore giallo-dorato.

4 Le principali vene e arterie dell’apparato cardiocircolatorio.


vena cava superiore
arteria carotide
vena giugulare
arteria succlavia
arteria aorta
arteria iliaca
vena iliaca
vena femorale
arteria femorale
vena cava inferiore
cuore
4 I capillari
I capillari sono vasi del diametro di circa 10 µm, di poco maggiore delle dimensioni delle cellule contenute nel sangue. Hanno pareti sottilissime, formate da un unico strato di cellule appiattite 5 : è proprio attraverso queste pareti che avvengono gli scambi di gas e sostanze tra il sangue e le cellule. L’ossigeno e le sostanze nutritive sono ceduti dal sangue ai tessuti; contemporaneamente, l’anidride carbonica e le sostanze di rifiuto prodotte dalle cellule entrano nei capillari.
I capillari sono i vasi che raccordano le arterie alle vene.
Le arterie, allontanandosi dal cuore, si ramificano suddividendosi in vasi sempre più piccoli, le arteriole, fino a dare origine ai capillari arteriosi, che arrivano a contatto con tutte le cellule dell’organismo. Il sangue che scorre nei capillari arteriosi cede le sostanze nutritive e l’ossigeno alle cellule e si carica di sostanze di rifiuto e di anidride carbonica, divenendo sangue venoso. Il sangue venoso scorre quindi nei capillari venosi, per poi confluire in vasi di diametro via via maggiore, le venule e le vene, che lo riportano al cuore 6
6 La rete dei capillari.
capillari arteriosi
arteriola
FISSA I CONTENUTI ESSENZIALI
Segna con una crocetta se vero (V) o falso (F).
1. Nelle arterie scorre solamente sangue arterioso.
2. Le pareti dei capillari sono superfici di scambio di gas e di sostanze.
3. Tutte le arterie portano il sangue verso il cuore.
4. Le valvole a nido di rondine si trovano nelle vene.
5 La struttura di un capillare.
endotelio
tessuto connettivo
capillari venosi
venula
la circolazione del sangue lezione 3
CARTA PENNA COMPUTER

Il cuore sotto la lente
Esplora l’oggetto interattivo e scrivi le risposte sul quaderno.
1. Quali tessuti formano il cuore?
2. Come è suddiviso il cuore al suo interno?
3. Qual è la funzione delle arterie che partono dal cuore?
4. Qual è la funzione delle vene che arrivano al cuore?
5. A che cosa servono le valvole cardiache?
ORA FERMA L’IMMAGINE!
Metti in pausa il video nei seguenti punti.


6. Quali parti del cuore sono rappresentate nelle immagini? Descrivi le loro caratteristiche.
La posizione del cuore nel torace.
1 Il cuore
Il cuore si trova al centro del torace, dietro allo sterno e tra i due polmoni 1 . Ha la forma di un cono con la punta verso il basso e rivolta a sinistra; è grande più o meno come un pugno e, in un individuo adulto, pesa tra i 250 e i 350 grammi. Il cuore è un organo cavo costituito dal miocardio, un tessuto muscolare che si contrae e si dilata in modo involontario. È protetto da una spessa membrana, il pericardio, ed è avvolto dalle arterie coronarie, che gli forniscono l’ossigeno e le sostanze nutritive. Se una di queste arterie si chiude, per esempio a causa di un trombo (un grumo di sangue coagulato), il flusso di sangue si interrompe e le cellule del miocardio cominciano a morire. Si dice che si è verificato un infarto al miocardio che, nei casi più gravi, può essere mortale.
Internamente, una robusta parete verticale divide il cuore in due parti, una destra e una sinistra (rispetto al “proprietario”) 2 . La parte destra, in cui passa il sangue venoso, non comunica in alcun modo con la parte sinistra, in cui scorre il sangue arterioso: i due tipi di sangue non possono mescolarsi. Ciascun settore del cuore è a sua volta diviso in due cavità: una superiore, l’atrio, e una inferiore, il ventricolo. Ogni atrio comunica con il ventricolo sottostante per mezzo di una valvola: la valvola tricuspide a destra e la valvola mitrale (o bicuspide) a sinistra. Queste valvole permettono il passaggio del sangue solo in un verso, dall’atrio al ventricolo, e mai in senso opposto. I due ventricoli comunicano con la corrispondente arteria attraverso una valvola semilunare, che permette al sangue di passare dal cuore all’arteria ma gli impedisce di tornare indietro. Dal ventricolo destro il sangue imbocca l’arteria polmonare, mentre dal ventricolo sinistro si immette nell’arteria aorta.
2 Anatomia del cuore.
vena cava superiore
arteria polmonare destra
vene polmonari destre
valvole atrioventricolari
atrio destro ventricolo destro
vena cava inferiore

2 Il ciclo cardiaco
arteria aorta
arteria polmonare sinistra
valvole semilunari
vene polmonari sinistre
atrio sinistro
ventricolo sinistro
Il cuore si contrae e si rilassa in modo involontario con un ritmo automatico e personale acquisito dai primi attimi della sua esistenza. Il cuore funziona come una pompa: si alternano una contrazione, detta sistole, e un rilassamento, detto diastole.
La successione ritmica di due sistoli e due diastoli costituisce il ciclo cardiaco 3 .
1. Diastole atriale: gli atri si rilassano e si riempiono del sangue proveniente dalle vene.
4. Sistole ventricolare: i ventricoli si contraggono e spingono il sangue nell’aorta e nell’arteria polmonare. Nel medesimo istante gli atri si dilatano e ha inizio un nuovo ciclo cardiaco.
Perché si dice “avere il cuore spezzato”?
“Crepacuore” o “cuore spezzato” non sono soltanto modi di dire, ma hanno una spiegazione scientifica. Il termine medico per indicare questa condizione patologica è cardiomiopatia da stress o anche sindrome di Takotsubo, che in giapponese vuol dire “vaso per i polpi”. Questa patologia è causata da una situazione stressante o da una fortissima emozione, che provoca una temporanea paralisi di una parte del muscolo cardiaco e che interessa principalmente il ventricolo sinistro. Durante la fase di sistole il ventricolo può addirittura rovesciarsi, facendo assumere al cuore la forma del cesto che i pescatori giapponesi usano per catturare i polpi.
3 Le quattro fasi del ciclo cardiaco.
2. Sistole atriale: gli atri si contraggono; la valvola tricuspide e la valvola mitrale si aprono e il sangue passa nei ventricoli.
3. Diastole ventricolare: le valvole tricuspide e mitrale si chiudono, i ventricoli si dilatano e si riempiono di sangue.
4 La piccola circolazione (in azzurro) e la grande circolazione (in rosso).
Un intero ciclo cardiaco è racchiuso in un battito del cuore. Poiché per ogni battito vengono fatti circolare 80 ml di sangue e in una persona adulta si contano circa 70 battiti al minuto, questo significa che tutta la nostra dotazione di sangue, circa 5 L, passa ogni minuto per il cuore.
La contrazione del cuore è autonoma: gli impulsi elettrici che fanno contrarre il miocardio sono generati dal nodo seno-atriale, o centrale pace-maker, un gruppo di cellule situato nella parte alta dell’atrio destro. Una seconda “centrale elettrica” in miniatura è il nodo atrio-ventricolare, che si trova in prossimità della parete che divide la parte destra e la parte sinistra del cuore: il suo compito è trasmettere l’impulso elettrico alle pareti dei ventricoli, stimolandole a contrarsi.
3 Le due circolazioni del sangue
La metà destra e la metà sinistra del cuore sono due pompe autonome, che spingono il sangue in due percorsi distinti: la piccola circolazione e la grande circolazione 4
La piccola circolazione, chiamata anche circolazione polmonare, ha inizio nella parte destra del cuore: l’atrio destro riceve, attraverso la vena cava superiore e la vena cava inferiore, il sangue proveniente dalle altre parti del corpo, carico di anidride carbonica. Esso passa nel ventricolo destro che, contraendosi, lo invia nell’arteria polmonare.
testa
vena cava superiore
capillari del polmone
vena polmonare
atrio destro
ventricolo destro
vena cava inferiore
capillari del fegato























capillari del polmone
arteria polmonare
arteria aorta
atrio sinistro
capillari del rene arteria carotide








ventricolo sinistro
capillari dell’intestino tenue
capillari del bacino e degli arti inferiori
Attraverso questo vaso sanguigno, che si divide in due rami, il sangue raggiunge i polmoni dove, a livello degli alveoli, la carbodiossiemoglobina si dissocia liberando l’anidride carbonica, che viene spinta negli alveoli e poi all’esterno. Il sangue si ricarica nuovamente di ossigeno, con la formazione di ossiemoglobina; quindi, uscito dai polmoni, il sangue arterioso entra nelle vene polmonari e raggiunge l’atrio sinistro del cuore. La grande circolazione, o circolazione sistemica, inizia nella parte sinistra del cuore. L’atrio sinistro, che ha ricevuto il sangue arterioso dalle vene polmonari, si contrae e lo spinge nel ventricolo sinistro; da qui il sangue si immette nell’arteria aorta alla velocità di 40-50 cm al secondo. Il sangue scorre non solo grazie all’impulso cardiaco, ma anche grazie all’elasticità delle arterie che, dopo una rapida dilatazione, si restringono all’istante. In seguito, attraverso le arterie più sottili e la rete di capillari arteriosi, il sangue raggiunge tutte le cellule del corpo che, al suo passaggio, ricevono ossigeno e sostanze nutritive ed eliminano anidride carbonica e altre sostanze di rifiuto. Passando dai capillari venosi a vene con diametro sempre maggiore, il sangue confluisce infine nella vena cava inferiore e nella vena cava superiore, che lo riportano alla parte destra del cuore.
FISSA I CONTENUTI ESSENZIALI
Sottolinea il termine corretto tra i due proposti.
1. Il tessuto muscolare che forma il cuore si chiama pericardio/miocardio
2. Le arterie/coronarie collegano il cuore con le altre parti del corpo.
3. Un battito cardiaco corrisponde a un ciclo cardiaco/alla grande circolazione.
4. Nelle vene polmonari scorre sangue venoso/arterioso.
VERSO LE COMPETENZE
Ricavare informazioni dall’analisi di un grafico

All’inizio di ogni anno di attività sportiva gli atleti sono sottoposti a una serie di esami clinici, uno dei quali è l’elettrocardiogramma. L’elettrocardiogramma è un tracciato che mostra la propagazione dell’onda elettrica che attraversa il cuore e lo fa contrarre. Può essere basale, cioè eseguito a riposo, o sotto sforzo, cioè registrato durante un’attività fisica.
Osserva i due elettrocardiogrammi e rispondi alle domande.
1. Quale dei due elettrocardiogrammi è stato eseguito sotto sforzo? In che cosa è diverso da quello realizzato a riposo?
2. Perché il ritmo del battito aumenta quando facciamo attività fisica?

Un apparato a due circolazioni a b

L’apparato escretore lezione 4
CARTA PENNA COMPUTER

Il bilancio idrico dell’organismo
1 Gli organi e gli apparati che partecipano all’escrezione.
Guarda il video e scrivi le risposte sul quaderno.
1. Qual è la quantità media di acqua persa dal nostro organismo in condizioni normali?
2. Perché questa quantità aumenta quando la temperatura è più elevata?
3. Qual è la regola fondamentale per mantenere il corretto bilancio idrico nel nostro corpo?
4. Qual è la funzione svolta dall’ipotalamo in relazione al bilancio idrico corporeo?

cute
ORA FERMA L’IMMAGINE!
Metti in pausa il video nel seguente punto.

5. Indica in che modo vengono perse le quantità di acqua indicate nel ferma l’immagine.
1 L’eliminazione dei rifiuti
Come una combustione produce le ceneri, così le reazioni chimiche che permettono la vita delle cellule producono diverse sostanze di rifiuto, che devono essere prontamente eliminate perché sono tossiche per l’organismo.


polmoni











fegato

L’escrezione è l’insieme dei processi che permettono l’eliminazione dei rifiuti e di eventuali sostanze in eccesso nell’organismo.
Anidride carbonica, acqua in eccesso, sostanze azotate come l’urea, che si forma dalla demolizione delle proteine, e l’acido urico, che si forma dalla demolizione degli acidi nucleici, sono i principali rifiuti da eliminare. A questa funzione provvedono organi e apparati diversi 1 :
• l’apparato tegumentario, attraverso la pelle, elimina il sudore, che contiene acqua, urea, sali, alcuni acidi e piccole quantità di anidride carbonica;

reni

• l’apparato respiratorio elimina l’anidride carbonica e piccole quantità d’acqua sotto forma di vapore;
• all’interno del fegato l’ammoniaca, che deriva dalla demolizione delle proteine, viene trasformata nell’urea, che raggiunge i reni trasportata dalla corrente sanguigna e viene eliminata con l’urina. Inoltre, il fegato trasforma l’emoglobina dei globuli rossi in sali biliari, che vengono inviati alla cistifellea e in seguito eliminati con le feci;
• l’apparato escretore elimina l’acqua in eccesso e le scorie azotate sotto forma di urina.
2 La struttura e le funzioni dell’apparato escretore
L’apparato escretore è costituito dai reni e dalle vie urinarie, che sono gli ureteri, la vescica e l’uretra 2 .
I reni sono posizionati ai lati della colonna vertebrale, all’altezza della vita. Sono organi di colore rosso scuro e dalla forma a fagiolo: ciascuno di essi è lungo circa 12 cm, pesa all’incirca 150 grammi ed è circondato da uno spesso strato di grasso che lo protegge da eventuali urti. L’arteria renale porta ai reni il sangue da depurare; la vena renale raccoglie il sangue purificato e lo immette nella vena cava inferiore.
Gli ureteri sono due condotti lunghi circa 30 cm che collegano i reni alla vescica.
La vescica è un sacco muscolare chiuso da un muscolo ad anello, in cui si accumula l’urina. Quando la vescica è piena, viene inviato un messaggio al cervello che risponde con uno stimolo di svuotamento che possiamo controllare. Quindi la vescica si contrae e l’urina viene espulsa attraverso un breve condotto, l’uretra
3 I reni
2 Gli organi dell’apparato escretore.
ghiandole surrenali
reni



In ogni rene si distinguono tre zone: la cavità centrale, la zona midollare e la zona corticale, la più esterna 3
La zona midollare e quella corticale sono formate da oltre un milione di nefroni, le unità funzionali del rene che hanno il compito di produrre l’urina. Questa si raccoglie temporaneamente nella cavità centrale.
Un nefrone è un tubulo molto lungo e tortuoso dalle pareti sottilissime. Una sua estremità si allarga a formare una struttura a forma di coppa, la capsula di Bowman, mentre l’altra confluisce nel dotto collettore, che sbocca a sua volta nella cavità centrale 4
3 La struttura del rene.
zona corticale
cavità centrale
arteria renale


zona midollare
uretere vena renale
arterie renali
vene renali
ureteri vescica uretra
4 La struttura del nefrone.
arteriola efferente capsula di Bowman
glomerulo
arteriola afferente
arteria renale
vena renale

tubulo renale
dotto collettore
5 Glomerulo al microscopio elettronico.


L’arteriola afferente che entra nella capsula di Bowman si divide ripetutamente e forma un gomitolo di sottilissimi capillari detto glomerulo 5 ; questi si riuniscono nell’arteriola efferente, che esce dalla capsula di Bowman e si divide in capillari che avvolgono il tubulo. Diventati capillari venosi, essi confluiscono nella vena renale. L’urina filtrata dai nefroni confluisce nella cavità centrale del rene ed esce percorrendo l’uretere.
4 Le funzioni dei reni
Ogni giorno i reni sono attraversati da circa 180 litri di sangue (più o meno la quantità di acqua che può contenere una comune vasca da bagno), che sono quasi interamente riassorbiti:solo una piccola percentuale, tra lo 0,5 e l’1% di questo volume, è eliminato con le urine.
I reni producono in media 1-2 litri di urina al giorno, ma la produzione dipende dalla quantità di liquidi assunti e varia con la temperatura: è maggiore nella stagione fredda, quando la sudorazione e la traspirazione cutanea ridotte costringono i reni a un lavoro supplementare. Alcune sostanze stimolano la produzione di una maggiore quantità di urina, come per esempio la caffeina e la bromelina contenuta nell’ananas. Nei reni vengono svolti due importanti processi: la filtrazione del sangue e il riassorbimento dell’acqua e di altre sostanze utili all’organismo.
■ Filtrazione
Il sangue, carico delle sostanze di rifiuto o in eccesso, giunge al rene attraverso l’arteria renale, che si suddivide in piccole arterie e forma i glomeruli.
Al loro interno, visto il diametro ridotto dei vasi in cui scorre, il sangue è sottoposto a una forte pressione, che spinge fuori dalle pareti le molecole di piccole dimensioni: acqua, sali minerali, glucosio, urea e altri composti azotati che vanno a formare un liquido, il filtrato glomerulare, che si raccoglie nella capsula di Bowman. Invece le grosse molecole (proteine e lipidi) e le cellule del sangue (globuli rossi, globuli bianchi e piastrine) restano all’interno dei vasi sanguigni.
Perché il medico prescrive le analisi del sangue e delle urine per sapere come sto?
Il sangue è un ottimo indicatore dello stato di salute dei nostri organi interni: attraverso la circolazione, il sangue raggiunge tutte le cellule del corpo, anche le più periferiche, ricevendo tutte le informazioni circa lo stato di salute dell’ organismo. Visto che tutto il sangue dell’organismo viene filtrato dai reni, il medico prescrive anche le analisi delle urine. Normalmente l’urina è limpida, di colore giallo chiaro, ma varia in base all’alimentazione e alla quantità di acqua assunta: la presenza di sostanze che dovrebbero essere assenti indica uno stato di malattia.

■ Riassorbimento
Il filtrato glomerulare passa poi nel tubulo del nefrone: qui il glucosio, i sali minerali e buona parte dell’acqua ritornano nel sangue entrando nei capillari che avvolgono il tubulo renale (riassorbimento). Il sangue depurato e con la giusta concentrazione di acqua e sali minerali raggiunge, attraverso i capillari venosi, la vena renale e ritorna nella circolazione generale. L’urea, l’acqua e i sali minerali che non sono stati riassorbiti vanno a formare l’urina, che dai tubuli renali passa nei dotti collettori, che sboccano a loro volta nella cavità centrale del rene; da qui l’urina confluisce negli ureteri e quindi nella vescica 6 . glomerulo


riassorbimento
le sostanze utili ritornano nei capillari

arteriola afferente cap sula di Bowman
capillare venoso
il sangue depurato e l’acqua riassorbita passano nella circolazione generale
l’urina passa nel dotto collettore
l’urina formata da urea, acqua e sali minerali esce dalla cap sula di Bowman

tubulo renale
filtrazione
FISSA I CONTENUTI ESSENZIALI
Segna con una crocetta se vero (V) o falso (F).
formazione dell’urina
6 Come si forma l’urina.
1. I reni eliminano tutte le sostanze di rifiuto prodotte dall’organismo.
2. Nei reni avviene il riassorbimento della maggior parte dell’acqua che vi transita.
3. Nell’urina si trovano composti azotati.
4. Le sostanze di rifiuto sono eliminate anche attraverso l’apparato tegumentario.
VERSO LE COMPETENZE
Osserva il disegno 6 che illustra la formazione dell’urina e rispondi alle domande.
1. In quale zona del nefrone avviene la filtrazione del sangue?
2. In quale zona del nefrone avviene il riassorbimento?
3. Quali sostanze entrano a far parte dell’urina?
4. Dove viene convogliata l’urina che esce dal nefrone?
EDUCAZIONE CIVICA
Le malattie dell’apparato cardiocircolatorio
e dell’apparato escretore
GIORNATA
mondiale del CUORE
Siamo noi i principali responsabili dei problemi che il nostro cuore e i nostri reni possono manifestare: abitudini di vita scorrette, eccesso di cibo, fumo, consumo insufficiente di acqua e eccessivo di bevande alcoliche, scarsa attività fisica. A questa situazione si sommano le infezioni batteriche e virali. Il 29 settembre si celebra la Giornata mondiale del cuore con l’obiettivo di informare e sensibilizzare i cittadini sull’importanza della prevenzione delle malattie cardiovascolari. Anche all’apparato escretore è dedicata una giornata mondiale che si celebra ogni anno il secondo giovedì del mese di marzo.
1 L’arteriosclerosi e l’ipertensione

1 Controllare la pressione è un gesto semplice ma fondamentale per prendersi cura della propria salute.

Nel caso dell’apparato cardiocircolatorio, un importante fattore di rischio è rappresentato dalla quantità di colesterolo nel sangue (colesterolemia), un lipide prodotto dall’organismo, ma che è contenuto anche nei grassi di origine animale come burro, formaggio e carni rosse. Nel sangue, la sua concentrazione normale è di 120-150 mg/dl: quando i valori sono più alti può accumularsi sulle pareti delle arterie, rendendole rigide e restringendo il vaso sanguigno. Questa condizione è detta arteriosclerosi
Il sangue scorre con difficoltà e può formare dei coaguli che ostruiscono i vasi. Se l’occlusione avviene nelle arterie coronarie, il cuore non si contrae più e sopraggiunge l’infarto al miocardio: una parte del cuore non è più ossigenata e muore. Se le placche di colesterolo si depositano sulle arterie carotidi, il cervello risente del minore rifornimento di ossigeno e la persona viene colpita da ictus, che causa perdita di memoria e difficoltà di ragionamento.
La pressione sanguigna si misura in millimetri di mercurio (mmHg) 1 . Il suo valore è massimo quando il cuore si contrae (sistole) e minimo quando si dilata (diastole). I valori della pressione sanguigna possono variare da un soggetto all’altro, ma devono mantenersi entro certi limiti: in una persona adulta la pressione massima deve essere inferiore a 140 mmHg e la pressione minima deve essere tra 80 e 90 mmHg. Se i valori della pressione si mantengono costantemente superiori a quelli normali si ha uno stato di ipertensione, che costituisce un altro fattore di rischio per molte malattie cardiache. Una pressione troppo elevata può provocare la rottura di un capillare, particolarmente pericolosa se questo si trova nel cervello o nel cuore perché il minor afflusso di ossigeno può provocare gravi lesioni e la morte degli organi.
La salute del cuore
2 Sangue e urine, spie dell’organismo
Il sangue è un ottimo indicatore dello stato di salute dei nostri organi interni: per questo il medico prescrive le analisi del sangue ma anche le analisi delle urine, visto che tutto il sangue dell’organismo viene filtrato dai reni. Come per il sangue, infatti, anche per le urine la presenza di sostanze che dovrebbero invece essere assenti indica uno stato di malattia. Normalmente l’urina è limpida, di colore giallo chiaro, ma varia in base all’alimentazione e alla quantità di acqua assunta.
La presenza di glucosio nelle urine è un chiaro sintomo di diabete mellito. L’organismo affetto da diabete non è più in grado di utilizzare il glucosio come fonte di energia: lo zucchero in eccesso si accumula nel sangue e successivamente passa nelle urine. La presenza di proteine, invece, segnala un disturbo dei reni: in particolare, la presenza di emoglobina è sintomo di anemia, cioè di carenza di globuli rossi nel sangue 2 . La presenza di nitriti (sali di azoto) indica che è in atto un’infezione batterica dei reni e delle vie urinarie. Un’elevata concentrazione di globuli bianchi, che dovrebbero essere presenti nelle urine solo in quantità minime, segnala un’infezione dei reni. La presenza di bilirubina, un pigmento giallo rossastro contenuto nella bile, è il segnale che il fegato non funziona correttamente.
3 Quando l’apparato escretore si ammala
La cistite è l’infiammazione della vescica provocata da un’infezione batterica. Si manifesta con dolore al basso addome e la necessità continua di urinare. Si combatte rapidamente con la somministrazione di farmaci antibiotici.
La calcolosi è la presenza nelle vie urinarie di calcoli, sassolini formati dall’accumulo di sali minerali. Per guarire dalla calcolosi occorre bere molta acqua che ne facilita l’espulsione. Il passaggio dei calcoli nelle vie urinarie può causare una colica renale accompagnata da dolori fortissimi. Se il calcolo non viene espulso spontaneamente è necessario l’intervento chirurgico.
L’insufficienza renale è una grave malattia che inizia con un’infezione del rene: l’organo non funziona più come dovrebbe e non riesce a eliminare le sostanze tossiche, che si accumulano nel sangue e causano un’intossicazione dell’organismo. Nei casi più gravi di insufficienza renale il paziente viene sottoposto a dialisi: il sangue è inviato, attraverso una serie di tubicini, dalla vena a una macchina, dove è filtrato dalle sostanze tossiche. Una volta depurato, il sangue è reimmesso nella circolazione sanguigna del paziente 3 . La dialisi deve essere eseguita ogni 2-3 giorni, per tutta la vita; nei casi estremi, in cui la dialisi non sia sufficiente, bisogna ricorrere al trapianto di rene
Il
1. Il sangue è rimosso dal paziente
2 In una goccia di sangue il numero di globuli rossi di un soggetto anemico si riduce rispetto a un soggetto sano. sangue soggetto sano sangue persona anemica
2. Viene iniettata una sostanza anticoagulante
3 Schema del funzionamento della dialisi.
rene artificiale
3. Una pompa mantiene il sangue in circolo
4.
sangue ripulito torna al paziente
CON LA SINTESI
lezione 1 L’APPARATO CARDIOCIRCOLATORIO
L’apparato cardiocircolatorio è formato dai vasi sanguigni, dal cuore e dal sangue. Ha il compito di trasportare le sostanze nutritive e quelle di rifiuto, di provvedere alla termoregolazione e alla difesa dell’organismo. Il sangue è un tessuto connettivo fluido che scorre nei vasi sanguigni. Trasporta in ogni parte del corpo l’ossigeno e le sostanze nutritive e allontana dalle cellule i prodotti di rifiuto; è formato da una parte liquida, il plasma, e da una parte corpuscolata costituita dai globuli rossi, dai globuli bianchi e dalle piastrine. I globuli rossi contengono emoglobina, una proteina che serve al trasporto dell’ossigeno e dell’anidride carbonica; i globuli bianchi svolgono un ruolo fondamentale nei meccanismi di difesa dell’organismo; le piastrine intervengono nella coagulazione del sangue.
lezione 2 I VASI SANGUIGNI
I vasi sanguigni costituiscono un percorso chiuso in cui il sangue scorre grazie alla spinta che gli viene impressa dal cuore. Si distinguono in arterie, vene e capillari. Le arterie trasportano il sangue dal cuore a tutti i tessuti del corpo; hanno pareti spesse ed elastiche, che si contraggono per favorire lo scorrimento del sangue.
Nelle arterie fluisce sangue ricco di ossigeno, ad eccezione delle arterie polmonari, che collegano il cuore ai polmoni, nelle quali scorre sangue carico di anidride carbonica. L‘arteria più grossa è l’aorta
Le vene sono i vasi che portano il sangue dai tessuti al cuore. Nelle vene scorre sangue ricco di anidride carbonica, con l’eccezione delle vene polmonari che portano il sangue ossigenato dai polmoni al cuore. Le pareti delle vene sono prive di fibre muscolari e non possono contrarsi. Il sangue può scorrere al loro interno verso il cuore grazie alle contrazioni dei muscoli scheletrici e, negli arti inferiori, alla presenza delle valvole a nido di rondine che impediscono al sangue di tornare indietro. I capillari sono dei vasi di diametro dell’ordine dei micron caratterizzati da una parete sottilissima, che collegano tra di loro le più piccole ramificazioni delle vene e delle arterie, raggiungendo tutte le cellule del corpo.



lezione
3 LA CIRCOLAZIONE DEL SANGUE
Il cuore è un muscolo cavo, costituito da un particolare tessuto muscolare, il miocardio, che si contrae in maniera involontaria. È suddiviso in due parti non comunicanti tra loro, destra e sinistra; ciascuna parte è divisa, a sua volta, in due cavità, l’atrio e il ventricolo, che comunicano tra loro per mezzo di una valvola. La contrazione del cuore è chiamata sistole, la dilatazione diastole. La successione di due sistoli e due diastoli costituisce il ciclo cardiaco. Il cuore, contraendosi e dilatandosi, funziona come una pompa che fa circolare il sangue in tutto il corpo attraverso due circuiti separati. La piccola circolazione ha inizio nel ventricolo destro del cuore che, contraendosi, spinge il sangue venoso nelle arterie polmonari che lo portano ai polmoni; qui il sangue si libera dell’anidride carbonica e si carica di ossigeno, e, attraverso le vene polmonari ritorna all’atrio sinistro del cuore. La grande circolazione ha inizio con la contrazione del ventricolo sinistro, che spinge il sangue arterioso nell’arteria aorta; da qui, attraverso arterie più sottili e la fitta rete di vasi capillari, raggiunge le cellule del corpo. Alle cellule il sangue cede ossigeno e sostanze nutritive e si carica di anidride carbonica e di altre sostanze di rifiuto. Attraverso una serie di vene sempre più grandi, il sangue confluisce nella vena cava superiore e nella vena cava inferiore che sboccano nell’atrio destro del cuore da cui riprende il ciclo.
lezione 4 L’APPARATO ESCRETORE
L’escrezione, cioè l’eliminazione delle sostanze di rifiuto viene svolta dall’apparato escretore, che elimina l’acqua in eccesso e le scorie azotate sotto forma di urina, dall’apparato respiratorio, che elimina l’anidride carbonica, dall’apparato tegumentario che elimina il sudore, dal fegato che trasforma l’ammoniaca in urea, meno tossica, e l’emoglobina dei globuli rossi in sali biliari. L’apparato escretore è costituito da due reni, due ureteri, la vescica e l’uretra. Ciascun rene è formato da un milione di unità filtranti, i nefroni. Ogni nefrone comprende una massa di capillari, il glomerulo, avvolto dalla capsula di Bowman, e un tubicino lungo e sottile, il tubulo renale. Il sangue ricco di scorie azotate arriva al rene attraverso l’arteria renale e raggiunge il glomerulo del nefrone, dove avviene il processo di filtrazione. Acqua, sali minerali e glucosio si raccolgono nella capsula di Bowman e formano il filtrato glomerulare. Questo passa nel tubulo renale, dove avviene il riassorbimento di gran parte dell’acqua attraverso i capillari che rivestono le sue pareti. Il liquido che rimane, l’urina, è convogliato nella cavità centrale del rene e da qui, attraverso gli ureteri, nella vescica che lo riversa all’esterno del corpo per mezzo dell’uretra.

CON LA MAPPA
Adesso che hai ripassato i contenuti essenziali con la sintesi, prova a completare la mappa con le parole chiave suggerite e a trovare le definizioni corrispondenti.
capillari - cuore - globuli rossi - grande circolazione - miocardio - plasma - sangue
che è composto da una
12. componente liquida
che è il
che comprende
comprende

che è un organo cavo formato da che contraendosi pompa il sangue nella
distinti in


piastrine

Intervengono nella coagulazione del sangue.
b. Mette in comunicazione il cuore con i polmoni.

c. Tessuto che riveste esternamente il cuore.
d. È un tessuto connettivo fluido.
e. Vasi dotati di robuste pareti elastiche.
7.
5. arterie
9. pericardio
10. piccola circolazione
6. vene
17. globuli bianchi
13. componente corpuscolata 15.
4. vasi sanguigni
8.
1. L’APPARATO CARDIOCIRCOLATORIO

lezione 1 L’APPARATO
CARDIOCIRCOLATORIO
1 Scegli la soluzione corretta.
a. I componenti corpuscolari del sangue che trasportano l’ossigeno sono:
1 globuli bianchi.
2 globuli rossi.
3 piastrine.
4 plasma.
b. Con la coagulazione:
1 sono eliminate le sostanze di rifiuto.
2 è cicatrizzata una ferita.
3 è ostacolata l’entrata dei batteri nel corpo.
4 è arrestata la perdita di sangue.
c. I costituenti del sangue che combattono i microrganismi infettivi sono:
1 globuli bianchi.
2 globuli rossi.
3 piastrine.
4 plasma.
2 Segna con una crocetta se vero (V) o falso (F).
a. I globuli rossi si chiamano eritrociti.
b. L’emoglobina permette il trasporto delle sostanze nutritive.
c. I macrofagi sono particolari globuli bianchi.
d. Le piastrine stimolano la produzione di fibrina.
3 Sottolinea il termine corretto tra i due proposti
a. Il plasma è la parte liquida/corpuscolata del sangue.
b. I marcatori si trovano sulla superficie dei globuli bianchi/rossi
c. Il gruppo AB/0 è ricevente universale.
d. I globuli bianchi si chiamano linfociti/leucociti
lezione 2 I VASI SANGUIGNI
4 Abbina i termini con la definizione corretta.
1. Arterie
2. Vene
3. Capillari
4. Valvole a nido di rondine
a Vasi che riportano il sangue al cuore.
b Vasi che collegano arterie e vene.
c Valvole che si trovano nelle vene.
d Vasi che partono dal cuore.
1. 2. 3. 4.
5 Osserva il disegno e inserisci accanto a ogni termine il numero corrispondente.
a. Venula
b. Arteriola
c. Capillari venosi d. Capillari arteriosi 2 3 1 4
6 Segna con una crocetta se vero (V) o falso (F).
a. L’apparato cardiocircolatorio è un sistema chiuso.
b. Nelle arterie polmonari scorre sangue arterioso.
c. Le carotidi portano il sangue alla testa.
d. La vena cava inferiore raccoglie il sangue proveniente dalla testa.
lezione 3 LA CIRCOLAZIONE DEL SANGUE
7 Scegli la soluzione corretta.
a. Il cuore assomiglia:
1 a una scatola con quattro cavità.
2 a una scatola con tre cavità.
3 a due tubi ravvicinati.
4 a un grosso tubo.
b. Il cuore serve a:
1 dare forza all’organismo.
2 pompare il sangue.
3 far entrare l’ossigeno nei polmoni.
4 purificare il sangue.
c. Il percorso di una goccia di sangue che esce dal cuore è:
1 arti - cuore.
2 arti - polmone - cuore.
3 polmone - arti - cuore.
4 arti - cuore - polmone - cuore.
8 Osserva il disegno e inserisci accanto a ogni termine il numero corrispondente.

a. Arteria aorta
b. Vena cava superiore
c. Atrio destro
d. Atrio sinistro
e. Ventricolo destro
f. Ventricolo sinistro
g. Valvole atrio-ventricolari
lezione 4 L’APPARATO ESCRETORE
9 Osserva il disegno e inserisci accanto a ogni termine il numero corrispondente.
a. Reni
b. Vescica
c. Ureteri
d. Vene renali
e. Arterie renali
f. Uretra
10 Abbina i termini con la definizione corretta.
1. Cute
2. Polmoni
3. Reni
4. Fegato
a Eliminano anidride carbonica.
b Trasforma ammoniaca in urea e emoglobina in sali biliari.
c Elimina sostanze di rifiuto mediante il sudore.
d Eliminano acqua in eccesso e sostanze azotate.
1. 2. 3. 4.
11 Segna con una crocetta se vero (V) o falso (F).
a. L’unità fondamentale del rene è il neurone.
b. L’arteriola afferente forma il glomerulo.
c. Il riassorbimento avviene nella capsula di Bowman.
d. L’urina confluisce negli ureteri e poi nella vescica.
INTERPRETARE MODELLI E SPIEGARE I FENOMENI
1 Osserva l’immagine e rispondi.
APPLICARE CONOSCENZE
2 Spiega come interagisce l’apparato cardiocircolatorio con:
globulo ross

mar mar globulo rosso





a. l’apparato digerente:
b. l’apparato respiratorio:
c. l’apparato escretore:
d. le cellule:


a. Che cosa permette la distinzione nei quattro gruppi sanguigni?
b. Spiega quale gruppo sanguigno è considerato donatore universale e perché.
OSSERVARE E RIFLETTERE
3 Metti a confronto i disegni che mostrano la struttura di un’arteria e di una vena. Descrivi le principali differenze

endotelio endotelio
c. Spiega quale gruppo sanguigno è considerato ricevente universale e perché.
d. Perché è importante conoscere il proprio gruppo sanguigno?



tessuto muscolare liscio
membrane elastiche
tessuto muscolare liscio
membrana elastica


tessuto connettivo
valvola a nido di rondine tessuto connettivo
marcatore A
marcatore B
marcatore B
marcatore A
Gruppo A Gruppo B
Gruppo AB Gruppo 0
RICONOSCERE MODELLI E SPIEGARE
4 Osserva le immagini e mettile nella sequenza corretta.
a. Quale processo è rappresentato?
b. Scrivi una didascalia per ogni fase del processo.
1. 2. 3. 4.
COLLEGARE UN’ESPERIENZA
ALLE CONOSCENZE STUDIATE
5 Un metodo molto usato per misurare la frequenza del battito cardiaco è quello di “tastare il polso”, cioè appoggiare le dita all’interno del polso, dove si avverte con facilità la dilatazione delle arterie più superficiali. La stessa cosa si può fare tastando il collo.
a. Progetta un’attività per indagare come cambia la frequenza dei battiti cardiaci quando siamo a riposo e quando facciamo attività fisica.
b. Al termine rispondi alle domande.
1. Quali strumenti hai usato per realizzare l’indagine?
2. In quale situazione i battiti cardiaci sono più frequenti?
3. In quale lo sono meno?
4. Che cosa accade alla respirazione quando i battiti diventano più frequenti?
5. Quale relazione lega la frequenza respiratoria con quella dei battiti del cuore?
TRARRE INFORMAZIONI DA UN TESTO
6 Leggi il brano.
PREZIOSI, MA DELICATI
Tra i fattori che determinano le possibilità di sopravvivere a una ferita potenzialmente letale potrebbe essercene uno inaspettato: il gruppo sanguigno di appartenenza. In base a uno studio giapponese pubblicato sulla rivista scientifica Critical Care, i pazienti di gruppo 0 (i “donatori universali”) sono anche quelli che corrono il rischio più elevato di non sopravvivere all’emorragia di una ferita grave. Al momento non è possibile dare una spiegazione, perché si è trattato di uno “studio osservazionale”. Un’ipotesi è che il problema derivi dai ridotti livelli, nel sangue dei pazienti di gruppo 0, di un agente che facilita la coagulazione del sangue, il fattore di von Willebrand (vWF), che circola nel plasma (il liquido in cui sono sospese le cellule sanguigne). Questa sostanza svolge un ruolo chiave nell’arresto del sanguinamento – l’emostasi – perché facilita l’adesione delle piastrine (i corpuscoli che intervengono nella coagulazione del sangue) alle pareti interne dei vasi sanguigni danneggiati.
(Tratto da focus.it)
Rispondi alle domande e svolgi le attività proposte da solo o in gruppo con i tuoi compagni.
a. Il gruppo sanguigno può influire sulla possibilità di sopravvivere a ferite gravi. Chi ha fatto questa osservazione?
b. Quali sono le persone più a rischio?
c. Quale ipotesi è stata formulata per spiegare il fenomeno?
d. Che ruolo ha la sostanza individuata nel plasma?
DIGITAL SKILLS
Ricerca in rete il significato di “studio osservazionale”.
Ricerca informazioni circa le trasfusioni e gli enti che si occupano di raccogliere il sangue necessario per intervenire in caso di necessità.

DONATING BLOOD
IN THE UK
Blood donation in the UK works quite differently than in Italy. A big difference is that you do not donate in hospitals or blood drive trucks but in donor centres or temporary centres with large rooms. You can donate in sport centres, the fire brigade headquarters, a Hindu temple, a hotel, or a football stadium. Many people donate on the same day and at the same time. There are about twenty armchairs transported each time with all necessary equipment. This is possible because appointments are booked online and donors choose date, location and time. Another feature is the English fixation on water. In this wet and rainy country, there is a fear – incredibly – of dehydration. Donors are advised to drink a lot before donating and also to drink another 500ml of water or squash (a sweet syrup to be diluted). There are no organisations like AVIS. All donations are managed by the NHS (National Health System), which deals with health, services, donations, and even manages part of the pharmacies. Finally, there’s no day off work for donating. This can be difficult as many people donate after work. There is no compensation, and you don’t receive your blood test results at home.
(Adapted from vere.news)
COMPREHENSION EXERCISES
Read the text and answer the questions.
a. Where do you donate blood in the UK?
b. What do the British fear very much when donating blood?
c. How do you overcome this possibility?
d. Who manages donations?



SQUASH succo (una sorta di sciroppo dolce da diluire)
lossario
STORYTELLING RIFLETTI RACCONTA PENSA
La puna
20 marzo 1835, Cresta di Peuquenes
Ciao amici! Oggi stiamo scalando la cresta di Peuquenes. Il signor Darwin dice che siamo ancora in Cile; ma dall’altro lato di quel ghiacciaio, a est, c’è l’Argentina. Siamo a circa 13.000 piedi sopra il livello del mare (il signor Darwin dice che corrispondono a 4.033 metri; è sempre molto preciso).
Syms
Covington

L’aria è così rarefatta, quasi senza ossigeno, che respirare è difficile. Alcuni dei nostri uomini hanno mal di testa o mal di stomaco. I nostri aiutanti cileni non hanno problemi. Penso che i muli siano animali molto intelligenti. Sanno quando fermarsi e riposare, e quando è ora di riprendere a camminare. Quindi posso prendermi un po’ di riposo anch’io. In realtà, mi sento un po’ stordito...
Darwin Darwin

Amezzogiorno, iniziamo a salire verso la cresta di Pehuenes nelle Ande Centrali, tra Cile e Argentina . È una delle creste più alte della Cordigliera Andina e saliamo dal lato cileno. La strada che attraversa le montagne arriva fino a 4.033 metri . La salita si fa sempre più dura e il nostro respiro diventa difficile. Anche i nostri muli fanno fatica, così si fermano spesso per riprendere fiato. Dopo un breve riposo, questi poveri animali ricominciano a salire da soli. Puna è come i cileni chiamano il respirare con difficoltà in queste montagne. Pensano che sia perché c’è qualcosa nell’acqua o nella neve. Hanno un detto: “ Dove c’è neve, lì c’è la puna ”. È vero, perché ad alta quota è davvero difficile respirare. Ma non dipende dalla neve. È perché l’aria è rarefatta. Camminare è molto difficile e sembra di avere un peso enorme sulla testa e sul petto. Ma dopo un po’ di tempo, sembra normale. Dicono che nella città di Potosí , che si trova a 4000 metri sopra il livello del mare, gli stranieri hanno bisogno di un anno per abituarsi all’atmosfera. I cileni usano le cipolle come rimedio per prevenire la puna. Io non ho bisogno di alcun rimedio perché sono molto felice di alcune bellissime conchiglie fossili che ho trovato sulla cresta più alta: ho completamente dimenticato la puna.
ORA RACCONTA TU!
a. Come cambia la pressione dell’aria salendo in quota?
b. In cosa consiste il fenomeno della rarefazione dell’aria?
c. Quali sono i sintomi che si manifestano nell’organismo?
d. Quale spiegazione davano i cileni dei sintomi che avvertivano ad alta quota?
e. Quale spiegazione ha fornito Darwin?
f. Metti a confronto le due spiegazioni: quali differenze noti?
DIGITAL SKILLS
Utilizza l’app di Google Earth per localizzare la catena delle Ande e individuare la posizione della località raggiunta dai membri della spedizione guidata da Darwin. Esplora il territorio con le immagini fornite dall’applicazione.
Intelligenza Artificiale IA
Con l'aiuto del tuo insegnante utilizza un chatbot di intelligenza artificiale generativa per svolgere le seguenti attività:
• scrivi un prompt per chiedere una spiegazione adatta alla tua età del termine “puna”;
• richiedi una spiegazione semplice sul processo di acclimatamento e compila una lista dei comportamenti che ti possono aiutare a sopportare le condizioni di alta quota.
unità immunitario Il sistema linfatico e il sistema 6

lezione 1
IL SISTEMA LINFATICO
lezione 2
IL SISTEMA IMMUNITARIO : LE DIFESE ASPECIFICHE
lezione 3
IL SISTEMA IMMUNITARIO : LE DIFESE sPECIFICHE


BUONE NOTIZIE PER IL FUTURO
Linfociti Car-T, super-soldati del sistema immunitario
La medicina ha oggi a disposizione un’arma in più per combattere diversi tipi di malattie: lo stesso sistema immunitario dei pazienti! Ricorrendo a tecniche di ingegneria genetica, i linfociti T prelevati dal sangue dei malati sono modificati con una proteina artificiale (Recettore Chimerico Artificiale) linfociti Car-T di riconoscere e legarsi in modo molto preciso a un antigene presente sulle cellule tumorali. La produzione di cellule CAR-T richiede alcune settimane di tempo: il materiale biologico, prodotto in condizioni di alta sterilizzazione, fino a -180 °C, ha una resistenza limitata e può viaggiare al massimo per 70 ore. Queste cellule artificiali sono in grado di agire sui linfociti T dell’organismo ricevente modificandoli in modo da riconoscere le cellule tumorali e distruggerle in modo più efficace. Recentemente le cellule CAR-T si sono rivelate molto più efficaci dei farmaci finora utilizzati anche contro le malattie a base autoimmunitaria, che si verificano quando il sistema immunitario, anziché proteggere l’organismo lo attacca, ma anche per combattere l’artrite e la celiachia.
Il sistema linfatico lezione 1
Guarda il video e scrivi le risposte sul quaderno.
CARTA PENNA COMPUTER

Come si forma la linfa
1. Qual è l’origine del liquido che circonda le cellule? A che cosa serve?
2. Qual è il meccanismo che permette l’uscita di sostanze dai capillari arteriosi?

3. Come mai una parte di liquido non rientra nei capillari venosi?
4. Dove si raccoglie la linfa?











1 La linfa

ORA FERMA L’IMMAGINE!
Metti in pausa il video nel seguente punto.

5. Spiega con un breve testo i flussi del liquido interstiziale attraverso le cellule e della linfa all’interno dei vasi linfatici.





Il sangue riesce a percorrere la fittissima rete di capillari e a raggiungere tutti i tessuti del corpo grazie alla spinta impressa dal cuore e dalla muscolatura che riveste le arterie. Una piccola percentuale di plasma attraversa le pareti dei vasi, soprattutto di quelli più piccoli, e si accumula tra una cellula e l’altra: si forma così il liquido interstiziale




Il liquido interstiziale è una soluzione acquosa di sostanze diverse che bagna le cellule e i capillari.
• L’ossigeno e le sostanze nutritive passano dal sangue al liquido interstiziale e successivamente dal liquido interstiziale alle cellule.
• L’anidride carbonica e le sostanze di rifiuto compiono il tragitto inverso: dalle cellule passano al liquido interstiziale e da questo entrano nei capillari venosi.

Tuttavia, le molecole di maggiori dimensioni (come i lipidi e le proteine), i batteri e le cellule morte non riescono ad attraversare le pareti dei vasi sanguigni e di conseguenza rimangono nei tessuti, immersi nel liquido interstiziale. Con il tempo il liquido tende ad accumularsi, ostacolando gli scambi di gas e sostanze tra le cellule e il sangue.

Il compito di raccogliere questo liquido e ridistribuirlo alla circolazione sanguigna è svolto dal sistema linfatico Il sistema linfatico convoglia il liquido interstiziale in microscopici canali a fondo cieco, i capillari linfatici. Oltre che negli spazi intercellulari, i capillari linfatici sono presenti anche nei villi intestinali. Questi sottilissimi canali presentano, a intervalli regolari, delle



dilatazioni e dei restringimenti, simili alle valvole a nido di rondine delle vene, in modo che il liquido che vi scorre all’interno, che ora prende il nome di linfa, possa fluire solo verso il centro del corpo. La linfa è un liquido salato, simile al sangue: si coagula, proprio come il sangue, è priva di globuli rossi ma contiene circa 8000 linfociti per mm3 1 I capillari linfatici sono diramazioni di un sistema di vasi più grandi, i vasi linfatici, che formano un vero e proprio apparato circolatorio, distinto da quello sanguigno.
cellule immerse nel liquido interstiziale
1 Capillari sanguigni e capillari linfatici.
LAB TINKERING
COSTRUISCI UN LAPBOOK SUL SISTEMA LINFATICO
SKILL BOOK
2 Il sistema linfatico
La rete linfatica è molto più estesa dell’apparato circolatorio perché arriva in zone dove quest’ultimo è assente, come nel tessuto cartilagineo. La linfa che viene continuamente formata, spinta dalla contrazione dei muscoli scheletrici fluisce in vasi sempre più grossi, fino ad arrivare ai due condotti principali, il dotto linfatico, che raccoglie tutta la linfa proveniente dalla parte destra del corpo e dal torace, e il dotto toracico, che raccoglie la linfa proveniente dall’intestino, che contiene i grassi trasformati, e quella che proviene dalla parte sinistra del corpo.
Qual
è la differenza tra il sistema linfatico delle piante e quello del nostro corpo?
Entrambi sono sistemi di trasporto, ma hanno composizioni e funzioni completamente diverse. Nelle piante esistono due tipi di linfa, quella grezza che trasporta acqua e sali minerali alle foglie, e quella elaborata, che trasporta a tutte le cellule dalla pianta gli zuccheri prodotti della fotosintesi. La linfa che circola nel nostro organismo ha, invece, una composizione simile a quella del sangue ed è importantissima per gli scambi tra cellule e per lo smaltimento di virus e batteri nocivi.
sistema linfatico piante sistema linfatico corpo umano
acqua e minerali
acqua e nutrienti
arteriola
arteria
capillari linfatici
vaso linfatico
vena
venula
tonsille
dotto linfatico destro
2 Gli organi e i vasi del sistema linfatico.
timo
vaso linfatico
dotto
toracico
milza
linfonodi
Questi due condotti riversano il loro contenuto nelle vene succlavie 2 . In questo modo l’acqua e le sostanze fuoriuscite dai capillari sanguigni tornano al sangue per essere nuovamente utilizzate.
Lungo i vasi linfatici sono presenti i linfonodi, piccoli ammassi di tessuto che appaiono come dei rigonfiamenti 3 . Sono particolarmente abbondanti in alcune regioni del corpo, come il collo, le ascelle e l’inguine.
In condizioni normali i linfonodi hanno il compito di filtrare la linfa e di purificarla prima che si immetta nuovamente nel sangue. Quando è in corso un’infezione, essi vanno incontro a una fase di super lavoro: producono una maggiore quantità di linfociti, particolari globuli bianchi che neutralizzano batteri e virus inglobandoli nel loro citoplasma; inoltre, ricevono i batteri e gli agenti estranei inglobati e digeriti dai linfociti.
Per questo motivo si ingrossano. Una leggera palpazione eseguita dal medico può individuare i linfonodi ingrossati e dolenti e fornire informazioni sul nostro stato di salute.
3 Un linfonodo in sezione.
linfociti
linfonodo vasi linfatici
3 Gli organi linfoidi
Al sistema linfatico appartengono anche gli organi linfoidi, cioè la milza, le tonsille e il timo. Il loro compito principale è produrre linfociti per difendere l’organismo dalle aggressioni dei microrganismi.
• La milza, l’organo linfoide più voluminoso, si trova a sinistra dello stomaco, sotto il diaframma. Purifica il sangue e ne immagazzina una certa quantità che mette in circolo solo in caso di necessità. Oltre a produrre i linfociti, la milza ha il compito di distruggere i globuli rossi vecchi o danneggiati, recuperando da essi i materiali ancora utili, come il ferro dell’emoglobina, e di eliminare alcuni agenti patogeni.
• Le tonsille si trovano vicino al palato, sulla base della lingua e ai lati della faringe 4
Costituiscono la prima barriera contro gli agenti infettivi che penetrano nel corpo attraverso la bocca e il naso. Il tessuto che le forma presenta delle cavità, dette cripte, che aumentano la superficie di contatto con tutto ciò che entra nel cavo orale, permettendo un’azione più efficiente contro germi e batteri penetrati attraverso il naso e la bocca o introdotti con gli alimenti. Le tonsille sono molto attive nei bambini, meno nell’età adulta. Un tempo le tonsille particolarmente infiammate erano asportate chirurgicamente, mentre ora si interviene solo se indispensabile, perché si è compreso che questi organi svolgono un ruolo fondamentale nella difesa dell’apparato respiratorio.
• Il timo è situato sotto lo sterno, l’osso piatto che chiude anteriormente la gabbia toracica. Al suo interno maturano particolari tipi di linfociti, i linfociti T (la lettera T sta appunto per ”timo“). I linfociti T derivano da cellule chiamate timociti, che sono prodotte dal midollo osseo e depositate nel timo ancora prima della nascita. Le sostanze che permettono il processo di maturazione dei linfociti sono prodotte dal timo stesso. Anche il timo, come le tonsille, subisce una regressione in età adulta dopo aver raggiunto una massa di 40-50 g al massimo dell’attività.
FISSA I CONTENUTI ESSENZIALI
Segna con una crocetta se vero (V) o falso (F).
1. I capillari linfatici raccolgono il liquido interstiziale.
2. La linfa ha la stessa composizione del sangue.
3. I linfonodi hanno il compito di purificare la linfa.
4. Le tonsille sono un organo linfoide.
VERSO LE COMPETENZE
4 Le tonsille sono parzialmente visibili nel cavo orale.
Lo sai che nel nostro corpo abbiamo le amigdale? Il termine, che deriva dal greco, significa “mandorla” e indica organi che hanno una forma ovoidale, come le tonsille Ricerca in rete le informazioni che servono per rispondere alle seguenti domande.
1. Quanti tipi di tonsille sono presenti nel nostro organismo?
2. In quale periodo della vita le tonsille raggiungono il massimo sviluppo?
3. Che cosa succede alle tonsille quando virus e batteri presenti nell’aria attaccano le vie respiratorie?
4. Come si interviene quando le tonsille si ingrossano, impediscono la deglutizione o sono eccessivamente deteriorate?
lezione 2
il sistema immunitario: le difese aspecifiche
CARTA PENNA COMPUTER

La temperatura del corpo umano
Guarda il video e scrivi le risposte sul quaderno.
1. Che cosa sono i pirogeni? Quando sono prodotti?
2. Qual è la funzione del rialzo della temperatura corporea?
3. Perché è importante non ricorrere immediatamente all’utilizzo di farmaci antipiretici?
1
ORA FERMA L’IMMAGINE!
Metti in pausa il video nei seguenti punti.


4. Metti nella sequenza corretta le immagini e scrivi per ciascuna una didascalia per spiegare le fasi del processo che determina il rialzo della temperatura del corpo.

Le difese esterne
Il nostro corpo ogni giorno entra in contatto con milioni di potenziali nemici. Virus, batteri, protozoi e funghi sono tutti agenti patogeni in grado di danneggiare cellule, tessuti, organi e apparati, impedendo o alterando il loro funzionamento.
Per contrastare il continuo attacco a cui è sottoposto, l’organismo ha a disposizione il sistema immunitario. Il sistema immunitario non è identificabile con una parte precisa del nostro corpo, ma è composto da un insieme di cellule, tessuti e organi capaci di riconoscere sostanze estranee e attivare delle risposte di difesa aspecifiche e specifiche.
Le difese aspecifiche contrastano l’entrata nell’organismo di qualunque tipo di agente patogeno.
Le prime difese aspecifiche che l’organismo oppone all’ingresso degli agenti patogeni sono delle barriere: possono essere barriere fisiche, come la pelle e le mucose, o barriere chimiche, come il lisozima.
La pelle è la prima barriera. Come sai, è costituita da due strati: l’epidermide, più superficiale, e il derma sottostante. Quando è intatta, impedisce l’ingresso dei microrganismi e più in generale di particelle solide e di liquidi. La pelle produce inoltre il sudore e secrezioni acide che rendono la sua superficie inadatta alla sopravvivenza di virus e batteri 1
Le mucose che rivestono le vie respiratorie sono spesso ricoperte da ciglia che impediscono l’avanzata dei microrganismi; inoltre producono muco, una densa secrezione che ingloba qualsiasi sostanza estranea.
Gli organi più esposti agli attacchi dei microrganismi, come gli occhi, le cavità del naso e della bocca, il tubo digerente, le vie urinarie e le vie genitali, producono dei liquidi speciali di difesa. Per esempio le lacrime, la saliva e persino l’urina contengono il lisozima, un enzima capace di aggredire la membrana cellulare dei batteri e distruggerla.
Anche l’acido cloridrico del succo gastrico è un potente battericida.
lacrime, saliva (lisozima)

succo gastrico (acido cloridrico)
urina (lisozima)
pelle (sudore e secrezioni acide)

1 Barriere difensive fisiche e chimiche.
vie respiratorie (ciglia e muco)

infiammatoria.
2 Le difese interne
lacerazione
capillari
infiammazione fagociti batteri
fagociti
batteri superficie
a. La pelle lesionata costituisce una via d’ingresso per i microrganismi.
segnali chimici
3 La fagocitosi.
b. I fagociti sono richiamati in gran numero dai segnali chimici rilasciati dalle cellule in pericolo o prodotti dagli stessi microrganismi. Attraversano le pareti dei capillari sanguigni e attaccano gli agenti patogeni; li inglobano e li digeriscono per mezzo di enzimi.
c. Nei punti d’infezione si accumulano i resti delle cellule danneggiate dagli aggressori, i globuli bianchi e i batteri morti durante il “combattimento”: tutti questi detriti cellulari contribuiscono alla formazione del pus.
Le cellule danneggiate liberano sostanze che inducono la dilatazione dei vasi sanguigni. Il maggior afflusso di sangue nella zona richiama un gran numero di fagociti, che attaccano, inglobano e distruggono gli agenti patogeni attraverso un processo detto fagocitosi 3
Quando gli agenti patogeni riescono a superare le barriere esterne e penetrano nell’organismo, si scontrano con una seconda difesa aspecifica, rappresentata da alcuni tipi di globuli bianchi chiamati fagociti. La regione attorno al punto di ingresso di un agente patogeno diventa gonfia e rossa, segno che è in corso un’infezione. Per combattere l’infezione l’organismo mette in atto una serie di reazioni che costituiscono la risposta infiammatoria 2 . nucleo
1. Un fagocita riconosce la presenza di una cellula estranea al corpo, in questo caso un batterio.
2. Il fagocita ingloba il batterio…
3. … e ne demolisce la parete cellulare.
4. Il fagocita digerisce il batterio attraverso gli enzimi.
I fagociti svolgono la loro azione nei confronti di cellule e sostanze (microrganismi, molecole tossiche e persino cellule cancerogene) che hanno sulla propria superficie molecole estranee a quelle dell’organismo. Queste molecole estranee si chiamano antigeni. Tra i fagociti, i macrofagi sono molto attivi e possono raggiungere tutte le parti del corpo. Grazie ai loro pseudopodi, infatti, i macrofagi riescono a portarsi dove è in atto un’infiammazione e a inglobare le particelle estranee 4 . Quando la risposta infiammatoria non è sufficiente e gli agenti patogeni si diffondono nell’organismo, questo reagisce con un aumento della temperatura corporea: è la febbre. Un lieve rialzo della temperatura corporea è utile per combattere l’infezione perché accelera il metabolismo, crea un ambiente sfavorevole al proliferare dei microrganismi e potenzia l’azione del sistema immunitario. Alcuni meccanismi che il corpo mette in atto in caso di febbre sono involontari, come i brividi, che tendono a riscaldare il corpo, o l’aumento della sudorazione, che invece ha la funzione di abbassare la temperatura.

FISSA I CONTENUTI ESSENZIALI
Sottolinea il termine corretto tra i due proposti.
4 Un macrofago attivato, osservato al microscopio elettronico a scansione.
1. La pelle è una barriera fisica/chimica per gli agenti patogeni.
2. Le difese interne aspecifiche sono costituite da fagociti/leucociti
3. Per combattere un’infezione l’organismo mette in campo la risposta immunitaria/infiammatoria.
4. Il lisozima è contenuto nella saliva/nel muco.
VERSO LE COMPETENZE
Osserva il disegno della risposta infiammatoria e rispondi alle domande.
1. Che cosa scatena la produzione di segnali chimici da parte delle cellule della pelle?
2. Quali cellule del sangue rispondono ai segnali?
3. Perché la zona di pelle lesionata diventa rossa e gonfia?
4. Perché le lesioni alla pelle costituiscono un vero pericolo per la salute del corpo?
CARTA PENNA COMPUTER

Le allergie
il sistema immunitario: le difese specifiche
Guarda il video e scrivi le risposte sul quaderno.
1. Che cos’è un’allergia?
2. Che cosa accade quando un allergene entra in contatto con le mucose o con la pelle?
3. In che cosa consiste uno shock anafilattico?
4. Qual è la funzione dei farmaci antistaminici?
1
I linfociti
ORA FERMA L’IMMAGINE!
Metti in pausa il video nel seguente punto.
5. Che tipo di allergeni sono rappresentati nell’immagine?
Spiega qual è la reazione dell’organismo quando questi allergeni vengono a contatto con le vie respiratorie.

linfociti B
linfociti T
Quando le difese aspecifiche falliscono, il nostro organismo mette in atto delle difese specifiche.
Le difese specifiche sono basate sul riconoscimento di un particolare agente patogeno, allo scopo di eliminarlo.
La risposta messa in atto dalle difese specifiche è chiamata risposta immunitaria I responsabili della risposta immunitaria sono un altro tipo di globuli bianchi, i linfociti, così chiamati perché sono molto diffusi nel sistema linfatico.
I linfociti si distinguono in linfociti B e linfociti T. Entrambi i tipi sono prodotti dalle cellule staminali del midollo osseo, ma devono maturare prima di diventare operativi: i linfociti B maturano nel midollo osseo; i linfociti T, invece, entrano nella circolazione sanguigna e raggiungono il timo, dove giungono a maturazione. Entrambi i tipi di linfociti vengono poi trasportati dal sangue ai linfonodi, alla milza e agli altri organi del sistema linfatico.
2
La
risposta immunitaria
Quando un corpo estraneo entra in contatto con il nostro organismo, viene percepito “diverso” per la presenza di antigeni che, come sai, sono molecole che si trovano sulla membrana dei batteri o sulla superficie di alcuni virus, ma anche di tossine e veleni prodotti da alcuni microrganismi. Gli antigeni scatenano la risposta immunitaria dei
linfociti. A seconda del tipo di antigene, entrano in azione i linfociti B, i linfociti T oppure entrambi.
I linfociti B riconoscono l’antigene e producono specifici anticorpi, particolari proteine a forma di Y chiamate anche immunoglobuline. Gli anticorpi hanno una struttura complementare a quella degli antigeni e si legano a essi “marcandoli” 1 . Una volta che la sostanza estranea è stata etichettata dagli anticorpi, possono intervenire i fagociti che la distruggono 2
I linfociti B sono in grado di produrre un gran numero di anticorpi specifici contro antigeni specifici. Quando il linfocita B riconosce l’antigene, va incontro a una serie di divisioni cellulari che portano alla produzione di milioni di nuovi linfociti B in grado di secernere lo stesso tipo di anticorpo.
All’azione dei linfociti B si può aggiungere quella dei linfociti T. I linfociti T maturati nel timo si differenziano successivamente in linfociti T-killer e linfociti T-helper.
I linfociti T-killer demoliscono, grazie ai loro enzimi, le cellule dei microrganismi e le cellule del corpo infettate da virus o degenerate, come quelle cancerose 3 . I linfociti T-killer, riconoscendo come estranee le cellule provenienti da altri organismi, sono responsabili anche del fenomeno del rigetto che spesso si verifica dopo le operazioni di trapianto degli organi.
I linfociti T-helper si attivano al contatto con antigeni specifici e stimolano i linfociti B sia a riprodursi sia a generare cellule particolari, le cellule della memoria
2 L’azione dei linfociti B e dei fagociti.
agente patogeno
anticorpo
1 Ogni anticorpo si lega a un particolare antigene.

agente patogeno


3 L’azione dei linfociti T-killer.
agente patogeno
siti di legame per l’antigene
antigene
cellula sana
cellula infetta
linfocita B
fagocita
cellula sana
cellula infetta
linfocita T
fagocita
cellula distrutta
formazione delle cellule della memoria.
linfocita B
Infezione iniziale

linfocita B

linfocita B
cellula della memoria
cellula della memoria

cellula della memoria

linfocita B
Infezione successiva


linfocita B linfocita B linfocita B
3 L’immunità naturale
Le cellule della memoria restano nel sangue per un tempo più o meno lungo, a volte anche per tutta la vita dell’organismo. Esse non partecipano direttamente alla “battaglia” ma sono in grado di riconoscere e “ricordare” gli agenti patogeni contro i quali sono state attivate. In caso di un nuovo attacco sono in grado di produrre immediatamente gli anticorpi specifici e in questo modo permettono all’organismo di mettere in atto una risposta immunitaria tempestiva ed efficace 4
Si dice allora che l’organismo ha acquisito l’immunità nei confronti di quella specifica malattia.
La durata dell’immunità dipende dalla durata di vita delle cellule della memoria: l’immunità contro il raffreddore, per esempio, dura poco, mentre quella contro malattie come il morbillo, il vaiolo o la varicella dura in genere tutta la vita.
Può anche accadere che il sistema immunitario scateni una risposta esagerata al contatto con particolari antigeni, chiamati allergeni. L’organismo allora produce abbondanti quantità di una sostanza, l’istamina, che scatena una violenta reazione infiammatoria: l’allergia. L’allergia può manifestarsi sotto forma di eccessi di tosse, starnuti, prurito oppure eruzioni cutanee, come nel caso di allergie a particolari alimenti.

Come si difende l’organismo
4 L’immunità artificiale
Oltre all’immunità naturale, l’organismo può ottenere un’immunità artificiale nei confronti di numerose malattie mediante vaccini e sieri. Oggi esistono varie tecnologie (o “piattaforme”) per la produzione di differenti tipi di vaccini.
• Vaccini inattivati: prodotti coltivando i microrganismi patogeni in colture cellulari e inattivandoli chimicamente.
• Vaccini vivi attenuati: prodotti generando una versione geneticamente indebolita dei patogeni che si replica in misura limitata, senza causare la malattia ma inducendo risposte immunitarie simili a quelle indotte dall’infezione naturale. Il primo a sperimentare questo tipo di vaccini fu il microbiologo francese Luis Pasteur (1822-1859).
• Vaccini formati da parti dei microrganismi: contengono parti del patogeno o del suo materiale genetico in grado di stimolare la risposta immunitaria, come nel caso dei vaccini a mRNA usati per prevenire la diffusione del Covid-19, basati sulla replicazione della proteina spike usata dal virus per infettare le nostre cellule.
• Vaccini con tossine: contengono le tossine del microrganismo patogeno rese inattive. Un vaccino serve quindi a prevenire una malattia, fornendo all’organismo un’immunità attiva artificiale
Il Ministero della Salute prevede per i bambini da 0 a 16 anni dieci vaccinazioni obbligatorie, che proteggono da malattie infettive particolarmente pericolose, ma anche gli adulti sono invitati a vaccinarsi come prevenzione di alcune malattie.
Sottoponendo a opportune lavorazioni il plasma ricavato dal sangue di un animale immunizzato contro una determinata malattia si ottengono i sieri, che contengono gli anticorpi contro agenti specifici.
I sieri forniscono un’immunità passiva, in quanto l’organismo non produce gli anticorpi necessari, ma li riceve dall’esterno. L’immunità acquisita grazie ai sieri è temporanea, tuttavia è preziosissima quando, per esempio, si viene morsi da un animale che possiede un veleno pericoloso per la nostra vita. Da qualche decennio vengono utilizzate le gammaglobuline, proteine ricavate dal sangue di persone immunizzate per via naturale o artificiale contro specifiche malattie. Il vantaggio dell’impiego delle gammaglobuline è che esse riducono al minimo la reazione immu nitaria da parte dell’organismo.
È vero che il siero antivipera contiene piccole quantità dello stesso veleno?
Il siero antivipera non contiene proprio il veleno del serpente, ma anticorpi specifici prelevati dal sangue di grandi mammiferi entrati in contatto col veleno. Per produrre il siero antiofidico, o antidoto, il serpente viene costretto ad affondare i denti in un’apposita membrana per espellere il veleno, che viene raccolto in una provetta e in seguito iniettato, in piccole quantità, nel corpo di un mammifero, per esempio, in un cavallo: il suo sistema immunitario reagisce producendo gli anticorpi necessari per neutralizzare il veleno. Dal sangue prelevato dall’animale si separa il plasma, ricco di anticorpi, da cui si ricava l’antidoto.

FISSA I CONTENUTI ESSENZIALI
Segna con una crocetta se vero (V) o falso (F).
1. I linfociti T maturano nel timo.
2. I linfociti T producono gli anticorpi.
3. I fagociti distruggono gli agenti patogeni.
4. Un siero contiene gli stessi agenti infettivi che provocano la malattia.
Sottolinea il termine corretto tra i due proposti.
1. I linfociti B/T maturano nel timo.
2. I linfociti B/T producono anticorpi.
3. Gli anticorpi/I fagociti distruggono gli agenti patogeni.
4. Un vaccino/siero contiene gli stessi agenti infettivi che provocano la malattia.
VERSO LE COMPETENZE
Rispondi alle domande.
1. Qual è il compito delle cellule della memoria?
2. Quando si parla di immunità artificiale?
3. Quando si parla di immunità naturale?
4. Qual è la differenza tra siero e vaccino?
SKILL BOOK
PROVE DI COMPETENZA I VACCINI
CON LA SINTESI
lezione 1 IL SISTEMA LINFATICO
Il liquido interstiziale è una soluzione acquosa formata da plasma e cellule di grandi dimensioni come lipidi, proteine, batteri e cellule morte, che si accumula tra una cellula e l’altra. Il compito di raccogliere questo liquido è svolto dal sistema linfatico. Il sistema linfatico è formato dai vasi linfatici, dai linfonodi e dagli organi linfoidi.
Nei vasi linfatici si raccoglie la linfa che scorre nei capillari linfatici, canali a fondo cieco che si trovano negli spazi tra le cellule e nei villi intestinali. I vasi linfatici a loro volta convergono nei dotti linfatici che riversano l’acqua e le sostanze prelevate dal liquido interstiziale nel sangue delle vene succlavie. I linfonodi sono ammassi di tessuto presenti lungo i vasi linfatici e concentrati in alcune parti del corpo come il collo, l’inguine e le ascelle: hanno il compito di filtrare la linfa e produrre linfociti quando è in corso un’infezione.
Gli organi linfoidi, milza, tonsille e timo, hanno la funzione di produrre i linfociti.
La milza filtra le impurità dal sangue e ne immagazzina una certa quantità, produce linfociti e distrugge i globuli rossi deteriorati.
Le tonsille sono la prima barriera di difesa contro agenti patogeni che penetrano attraverso naso e bocca o con il cibo che ingeriamo. Il timo è l’organo dove maturano i linfociti T ed è particolarmente attivo nell’infanzia.
lezione 2 IL SISTEMA IMMUNITARIO: LE DIFESE ASPECIFICHE
Il sistema immunitario è un insieme di cellule, tessuti e organi capaci di riconoscere sostanze estranee e attivare delle risposte di difesa aspecifiche e specifiche.
Le difese aspecifiche contrastano l’entrata nell’organismo di qualunque tipo di agente patogeno. L’organismo possiede diversi tipi di barriere contro i microrganismi che causano malattie. Sono barriere fisiche la pelle e le mucose, che producono enzimi e muco che impediscono l’avanzata dei microrganismi patogeni. Sono barriere chimiche le sostanze contenute, per esempio, nelle lacrime, nella saliva e nel succo gastrico, che sono in grado di distruggere le membrane cellulari dei batteri.

Se i microrganismi superano le prime barriere di difesa e penetrano nell’organismo, si attiva una reazione infiammatoria: nella zona attaccata aumentano l’afflusso di sangue e la temperatura, e diventano attivi fagociti e macrofagi, che inglobano e distruggono i microrganismi.
lezione 3 IL SISTEMA IMMUNITARIO: LE DIFESE SPECIFICHE
Le difese specifiche sono basate sul riconoscimento di un particolare agente patogeno, allo scopo di eliminarlo grazie all’intervento dei linfociti B e dei linfociti T. La risposta messa in atto dalle difese specifiche è chiamata risposta immunitaria. Quando un corpo estraneo entra nel corpo è riconosciuto come “diverso” per la presenza di antigeni, sostanze che scatenano la risposta immunitaria dei linfociti.
Un linfocita B che incontra un antigene produce anticorpi, proteine capaci di legarsi all’antigene ed eliminarlo. All’azione dei linfociti B si può aggiungere quella dei linfociti T-killer e T-helper. I linfociti T-killer demoliscono, grazie ai loro enzimi, le cellule dei microrganismi e quelle infettate da virus o degenerate.
I linfociti T-helper si attivano al contatto con antigeni specifici e stimolano i linfociti B a generare le cellule della memoria, responsabili dell’immunità acquisita nei confronti delle malattie infettive.
L’organismo può acquisire un’immunità artificiale grazie alla somministrazione di vaccini in grado di attivare la risposta immunitaria e favorire la produzione di specifiche cellule della memoria. I sieri sono utilizzati per neutralizzare l’azione di tossine o veleni presenti nell’organismo, poiché contengono anticorpi specifici relativi alla tossina da contrastare. La somministrazione di un siero fornisce immunità passiva.

agente patogeno
cellula sana
cellula infetta linfocita T
fagocita
cellula distrutta
CON LA MAPPA
Adesso che hai ripassato i contenuti essenziali con la sintesi, prova a completare la mappa con le parole chiave suggerite e a trovare le definizioni corrispondenti. agenti patogeni - difese aspecifiche - fagociti - linfa - linfociti T - linfonodi - vasi linfatici
1. IL SISTEMA LINFATICO
lungo i quali si trovano i
è formato da
permette la circolazione della
4. organi linfoidi
che producono
6. linfociti
immunitario
che difende l’organismo dagli
costituite da che contribuiscono all’azione del
grazie alle
10. difese specifiche
a. Lo sono milza, tonsille e timo.
b. Difende l’organismo da virus e batteri patogeni.
c. Producono le cellule della memoria.
d. È la prima barriera fisica contro i microrganismi.
e. Sono particolari tipi di globuli bianchi per le difese aspecifiche.
12. mucose 14. linfociti B 11. pelle 7. sistema

lezione 1 IL SISTEMA LINFATICO
1 Sottolinea il termine corretto tra i due proposti.
a. Il liquido interstiziale si trova all’esterno/ interno delle cellule.
b. La linfa scorre nei vasi sanguigni/linfatici.
c. La milza è un linfonodo/organo linfoide.
d. La linfa non contiene globuli rossi/bianchi.
2 Osserva il disegno e inserisci accanto a ogni termine il numero corrispondente.
4 Scegli la soluzione errata.
a. In caso di infezione, i linfonodi:
1 producono maggiori quantità di eritrociti.
2 aumentano la produzione di linfociti.
3 neutralizzano batteri e virus.
4 ricevono batteri e corpi estranei digeriti dai linfociti.
b. La milza:
1 è un organo linfoide.
2 è un tipo di linfocita.
3 è localizzata sotto il diaframma.
4 distrugge i globuli rossi vecchi e danneggiati.
lezione 2 IL SISTEMA IMMUNITARIO: LE DIFESE ASPECIFICHE
5 Segna con una crocetta se vero (V) o falso (F).
a. Le difese aspecifiche contrastano qualunque tipo di agente patogeno.
b. Le mucose sono una barriera fisica.
c. Un’infezione rappresenta la distruzione di un agente patogeno.
a. Arteria
b. Vena
c. Capillare venoso
d. Capillare arterioso
e. Vaso linfatico
f. Capillari linfatici
3 Abbina i termini con la definizione corretta.
1. Linfonodo
2. Timo
3. Milza
4. Dotto linfatico
a Vi maturano i linfociti T.
b Purifica il sangue.
c Condotto che sbocca in una succlavia.
d Responsabile della filtrazione della linfa.
1. 2. 3. 4.
d. Gli antigeni sono molecole estranee all’organismo.
6 Osserva il disegno e inserisci accanto a ogni azione il numero corrispondente.
1 2 3 4
a. Il fagocita ingloba il batterio.
b. Il fagocita riconosce il batterio.
c. Il fagocita digerisce il batterio.
d. Il fagocita demolisce la parete cellulare del batterio.
7 Completa le frasi con i termini corretti.
a. Il sistema è composto da un insieme di cellule, tessuti, organi capaci di riconoscere sostanze e attivare le difese specifiche e
b. Le prime difese dell’organismo sono rappresentate dalle barriere come per esempio la pelle, e dalle barriere come per esempio il lisozima.
8 Scegli la soluzione corretta.
a. La reazione infiammatoria si attiva quando:
1 virus e batteri incontrano le prime barriere di difesa.
2 gli agenti patogeni penetrano nell’organismo.
3 virus e batteri sono eliminati.
4 i macrofagi non sono più attivi.
b. Il sistema immunitario è:
1 un insieme di organi che ci permette di stabilire relazioni con l’ambiente.
2 un insieme di cellule che elimina i batteri.
3 un insieme di cellule, tessuti e organi che difendono l’organismo.
4 le vaccinazioni fatte durante la vita.
c. Il lisozima si trova:
1 nel muco.
2 nelle lacrime.
3 nello stomaco.
4 sulla pelle.
lezione 3 IL SISTEMA IMMUNITARIO: LE DIFESE SPECIFICHE
9 Sottolinea il termine corretto tra i due proposti.
a. I linfociti B/T riconoscono l’antigene e producono anticorpi.
b. I linfociti T-killer/helper stimolano la produzione di cellule della memoria.
c. Un vaccino/siero contiene anticorpi relativi a una particolare tossina.
d. I vaccini permettono di ottenere una immunità naturale/artificiale
10 Segna con una crocetta se vero (V) o falso (F).
a. Gli anticorpi si chiamano anche immunoglobuline.
b. Le cellule della memoria danno immunità artificiale.
c. I linfociti T-killer sono responsabili del fenomeno del rigetto.
d. Per contrastare gli effetti del veleno di un serpente si inietta un vaccino.
11 Scegli la soluzione corretta.
a. Gli antigeni:
1 sono proteine prodotte dai linfociti B.
2 sono prodotti dai linfociti T.
3 sono proteine presenti sulle membrane di virus e batteri.
4 sono sieri usati contro i veleni degli animali.
b. I linfociti T-killer:
1 stimolano i linfociti B a produrre cellule della memoria.
2 agiscono come i macrofagi.
3 sono prodotti e maturano nel midollo osseo.
4 demoliscono direttamente le cellule dei microrganismi.
12 Osserva il disegno e inserisci accanto a ogni termine il numero corrispondente.


a. Agente patogeno
b. Anticorpo c. Antigene
RICONOSCERE MODELLI E SPIEGARE

Osserva il disegno e rispondi alle domande.
a. Che cosa rappresenta il disegno?
b. Quali sono le caratteristiche delle diverse componenti del sistema? Descrivi:
dotto linfatico destro

SAPER STUDIARE E COMUNICARE


linfonodi tonsille
1. le tonsille
2. il dotto linfatico
3. il timo
vaso linfatico
dotto toracico
timo milza
4. il vaso linfatico
5. il dotto toracico
6. la milza
7. i linfonodi
2 Metti nella sequenza corretta i disegni che descrivono la risposta infiammatoria e scrivi sotto a ciascuno una didascalia che spieghi il fenomeno rappresentato.
























OSSERVARE E RIFLETTERE
3 Metti a confronto i due disegni e descrivi il funzionamento dei linfociti B e T-killer.
linfocita B

anticorpi fagocita
cellula sana
antigene agente patogeno

antigene agenti patogeni

cellula infetta

linfocita T
TRARRE INFORMAZIONI DA UN TESTO E RICERCARE INFORMAZIONI
5 Leggi il brano.
QUANDO JOHN SNOW SI MISE A CONTARE Londra, 31 agosto 1847. Nel quartiere popolare di Soho, dove si concentrano numerose macellerie e concerie, scoppia una terribile epidemia di colera. I medici del tempo sono convinti che a causare la malattia siano gli odori disgustosi che si liberano dalle fogne e dagli scarti animali in decomposizione nei pozzi neri. Le morti si concentrano nelle abitazioni di Broad Street (oggi Broadwick Street): in tre giorni muoiono 127 persone, dopo 10 giorni i morti sono 500 e alla fine diventano 616. Il medico John Snow non crede nel contagio da miasmi; si mette alla ricerca di una relazione tra il numero dei decessi e la loro distribuzione nel quartiere ed è così che individua un punto preciso dove si trova una pompa d’acqua. Il medico intuisce che la causa può essere proprio l’acqua contaminata prelevata dal pozzo, che viene regolarmente consumata dagli abitanti della zona: fa chiudere la pompa e dimostra che il colera si prende bevendo acqua infetta. John Snow, tuttavia, non riuscirà a sostenere del tutto la sua intuizione, anche perché non sa qual è la vera causa della malattia. La risposta arriverà solo alcuni decenni dopo quando Robert Koch dimostrerà che è un batterio, il Vibrio cholerae, a provocare il colera.
Rispondi alle domande.
1. Da che cosa è causato e come si trasmette il colera?
2. Come viene condotta la prima indagine epidemiologica della storia?
Intelligenza
SPIEGARE I FENOMENI
4 Spiega il meccanismo della febbre.
Con l’aiuto dell’insegnante chiedete a un chatbot di intelligenza artificiale alcuni casi di studio su pandemie del passato. Dividetevi in gruppi e assegnate a ciascuno una pandemia da analizzare rispondendo alle domande: Quando e dove è iniziata? Quale patogeno l’ha causata? Quali conseguenze sociali ha avuto? Quali misure di prevenzione furono adottate? Infine, confrontate i risultati per individuare somiglianze e differenze tra le pandemie nella storia.


LIVING WITH
ALLERGIES
Living with allergies and maintaining a good quality of life is not always easy. Daily activities can often be challenging for people living with allergies. For many people, their home is a safe place from allergens. However, it can be difficult for people with indoor allergies such as dust mites and pet allergies to feel comfortable when they are at home. School can also be a difficult transition for both parents and children living with allergies. When an adult or child has food allergies, eating out can be an anxious experience. A study by some British allergists found that restaurant staff often have inadequate training regarding food allergies. Living with allergies at home is quite difficult, travelling with allergies, on the other hand, presents a new set of challenges. Whether you are planning a trip abroad or a staycation in the UK, it is important to research information on how to be properly prepared.
(Adapted from www.allergyuk.og)
CHALLENGING impegnativo
DUST MITES acari della polvere
STAYCATION vacanza vicino a casa lossario
COMPREHENSION EXERCISES
Read the text and answer the questions.
a. Why is the home not always a safe place from allergens?
b. What is the risk eating in a restaurant?
c. What should a person with allergies do when travelling?



Cuore e polmoni, lavoro di squadra

RACCORDI interdisciplinari
Proponiamo alcuni approfondimenti che possono essere affrontati nel percorso interdisciplinare, ma la mappa suggerisce molti altri argomenti che possono essere sviluppati per integrare lo stesso percorso.
SCIENZE: cuore e polmoni costituiscono un sistema integrato e strettamente connesso. Le polveri sottili sono uno dei maggiori fattori di rischio per la loro salute.
TECNOLOGIA: quando un organo si danneggia è necessario sostituirlo, sono più idonei organi naturali o artificiali?
EDUCAZIONE CIVICA: la donazione degli organi è regolamentata da una legge dello Stato.
GEOGRAFIA: la globalizzazione favorisce la diffusione di nuovi agenti patogeni provenienti da lontano.
Il percorso fissa l’attenzione su due dei principali apparati del nostro organismo, circolatorio e respiratorio, che, per quanto distinti, lavorano in costante sinergia. Per esempio, i danni ai polmoni causati dall’inquinamento da polveri sottili sono rilevabili anche sul cuore e certe situazioni patologiche possono richiedere la sostituzione di organi danneggiati. Se fino a pochi anni fa si potevano utilizzare solo organi naturali, ora sono disponibili organi artificiali sempre più sofisticati. Qual è la scelta migliore? Dal 2020 il Coronavirus, attaccando l’apparato respiratorio, ha messo in risalto la necessità di prevenzione e maggiore attenzione alle norme igieniche di base, ma la globalizzazione ha portato con sé la diffusione di nuove infezioni. A che cosa dobbiamo prestare attenzione? SCIENZE TECNOLOGIA
PREREQUISITI
Saper descrivere l’anatomia e la fisiologia degli apparati respiratorio e circolatorio.
Conoscere i principali agenti patogeni che colpiscono questi apparati.
RISULTATI ATTESI
Consapevolezza della necessità di mantenere in buona salute il nostro organismo.
Conoscenza degli agenti patogeni e delle sostanze che possono danneggiare cuore e polmoni.
Comprensione degli effetti della globalizzazione sulla diffusione di agenti patogeni.
IL SISTEMA INTEGRATO CUORE-POLMONI
LE POLVERI SOTTILI
ORGANI ARTIFICIALI OPPURE NATURALI NELLE OPERAZIONI DI TRAPIANTO?
LA REGOLAMENTAZIONE DELLA DONAZIONE DEGLI ORGANI
EFFETTI DELLA GLOBALIZZAZIONE SULLA DIFFUSIONE DEGLI AGENTI PATOGENI
SCIENZE
Le polveri sottili
Le polveri sottili fanno parte del particolato atmosferico (PM dall’inglese particulate matter), ossia delle particelle che si trovano sospese nell’aria. Derivano dai processi industriali, dal riscaldamento, dai processi di combustione in generale e dal traffico veicolare. In base al diametro si classificano in PM10 (diametro inferiore a 10 µm), PM2,5 (diametro inferiore a 2,5 µm) e polveri ultrafini (UFP), con diametro inferiore a 0,1 µm. Le polveri sottili penetrano nell’organismo con la respirazione: al diminuire del diametro aumenta la loro capacità di penetrare nelle vie aeree, specialmente se si respira a bocca aperta. Le polveri sottili causano un’infiammazione cronica dei polmoni e possono interagire con gli allergeni respiratori scatenando l’asma allergica nei soggetti predisposti. L’esposizione prolungata alle polveri sottili è stata collegata a diversi problemi cardiaci e alla mortalità causata da problemi cardiovascolari; inoltre, aumentano il rischio di cancro. Per prevenire i danni da polveri sottili bisogna evitare quanto più possibile di esporsi al particolato inquinante.

DOMANDE GUIDA
a. Che cosa sono le polveri sottili? Quanti tipi ne esistono?
b. Da che cosa vengono prodotte?
c. Quali rischi comportano per la nostra salute?
DIGITAL SKILLS
PER APPROFONDIRE
a. Ricerca informazioni in rete sull’inquinamento da polveri sottili e individua una carta dell’Italia che metta in evidenza, con colori diversi, le zone in cui esso è più marcato.
b. Ricerca informazioni sulle cause che rendono alcune zone d’Italia più soggette all’inquinamento da polveri sottili.
GEOGRAFIA
Effetti della globalizzazione sulla diffusione degli agenti patogeni
Negli ultimi anni la diffusione di agenti patogeni è diventata una minaccia per la salute globale: molti sono i fattori che hanno determinato questo fenomeno. I virus hanno imparato a viaggiare: aerei, navi, mezzi di trasporto superveloci riducono le distanze, ma permettono anche una rapida diffusione di malattie. Città densamente abitate e condizioni di vita che non permettono neppure le norme igieniche di base, come accade nelle baraccopoli delle periferie delle megalopoli, aumentano la possibilità di contagio. Il riscaldamento globale ha permesso a zanzare e altri insetti che trasmettono malattie infettive, come malaria, dengue, west nile, chikungunya, di spostarsi dalle zone tropicali e adattarsi a vivere in aree molto più a nord, arrivando anche in Italia. Infine, l’uso eccessivo e incontrollato di antibiotici ha contribuito alla proliferazione di batteri resistenti a questi farmaci, vanificando la loro funzione.
DIGITAL SKILLS
PER APPROFONDIRE
a. Ricerca in rete informazioni sul percorso compiuto dal virus SARS-CoV-2 che ha causato la recente pandemia di COVID-19 e fai un confronto con gli aspetti evidenziati dal testo che possono aver contribuito alla diffusione della malattia.

TEMA 3
Sistemi di comunicazione, controllo e integrazione del corpo umano
Lavoriamo, studiamo, impariamo cose nuove, manteniamo la concentrazione, ricordiamo che cosa abbiamo fatto pochi minuti prima o la trama di un vecchio film: tutto questo grazie al cervello. È un organo formato prevalentemente da neuroni, cellule specializzate a ricevere ed elaborare le informazioni che provengono sia dall’interno dell’organismo sia dall’ambiente esterno, attraverso i cinque sensi. Dire che i sensi sono cinque è una maniera certamente efficace di descrivere i sensi e gli organi dove hanno sede; tuttavia, nella nostra esperienza quotidiana ci accorgiamo di percepire contemporaneamente moltissime sensazioni diverse: queste sono inviate al cervello non solo grazie agli impulsi elettrici che viaggiano dagli organi di senso al sistema nervoso centrale, ma anche per mezzo dei tantissimi ormoni prodotti dalle ghiandole del sistema endocrino. I due sistemi controllano e coordinano il funzionamento di tutti gli apparati, anche dell’apparato riproduttore che è particolarmente sensibile alle stimolazioni ormonali e agli influssi dell’ambiente esterno. Questo complesso sistema di comunicazione e di controllo dell’organismo può andare incontro a disfunzioni dei suoi organi e a malattie, che sono oggetto di studio di diverse specialità mediche, come per esempio la neurologia, l’oculistica, l’endocrinologia e la ginecologia.




endocrino Il sistema nervoso e il sistema unità 7


I sensi unità 8 si riproduce L’organismo unità 9
ARIANNA CARRÀ, projectcoordinatordistudiclinici
Dopo il diploma di liceo scientifico, Arianna si iscrive prima alla facoltà di Biotecnologie mediche, poi alla facoltà di Biologia applicata alla ricerca biomedica e infine completa gli studi con un dottorato in Neuroscienze. Dopo aver ricoperto diversi incarichi nel mondo della ricerca biomedica, oggi si occupa della gestione degli studi clinici sull’efficacia o i possibili effetti negativi di un farmaco nei pazienti che lo stanno assumendo.

STEFANO DI NUNNO, clinical research associate



Stefano ha conseguito la laurea in Biologia applicata alla ricerca biomedica dopo un periodo di studi all’estero. Oggi lavora in un’organizzazione che offre alle aziende farmaceutiche servizi professionali per gestire la ricerca clinica. Controlla le cartelle cliniche dei pazienti che hanno aderito agli studi e verifica che le procedure per raccogliere i dati siano state eseguite in modo etico per garantire la sicurezza dei pazienti.
DAVIDE FRACASSETTI, tecnico audiometristaeaudioprotesista
Davide è diventato dottore in tecniche audioprotesiche e oggi si occupa di correggere i deficit uditivi con l’ausilio di protesi acustiche. Nel suo lavoro deve integrare competenze tecniche a capacità relazionali ed empatiche: esegue prove acustiche sui pazienti, per valutare il loro sistema uditivo e individuare la patologia, e in seguito sceglie la protesi più adatta alle loro esigenze.

Ippocrate
PARLA LA SCIENZA
unità endocrino Il sistema nervoso e il sistema 7
lezione 1
LA CELLULA NERVOSA
lezione 2
IL SISTEMA NERVOSO CENTRALE
lezione 3
IL SISTEMA NERVOSO PERIFERICO
lezione 4
IL SISTEMA ENDOCRINO



BUONE NOTIZIE PER IL FUTURO
Un nuovo alleato per Intelligenza umana
è un campo della ricerca scientifica che affonda le radici nel sogno di riprodurre il pensiero umano e creare macchine in grado di pensare. Semplificando, si può definire l’intelligenza artificiale come un insieme di strumenti tecnologici fondati sulla matematica, creati e sviluppati dalla mente umana. Oggi sono già disponibili software programmati per sostenere una conversazione scritta e rispondere a qualsiasi tipo di domanda, grazie all’utilizzo per organizzare, valutare, elaborare o utilizzare enormi quantità di dati. L’applicazione dell’AI in campo medico permette di rilevare malattie, fare diagnosi, assistere i chirurghi durante gli interventi ma anche studiare gli organi del corpo umano per comprenderne meglio il funzionamento. Katrin Amunts, neuroscienziata tedesca, ha utilizzato AI esplorazione del cervello umano, producendo l’atlante del cervello umano, una delle mappe più dettagliate delle aree cerebrali e della loro architettura cellulare. In un’intervista la scienziata ha spiegato che il cervello umano, con i suoi 86 miliardi di neuroni, ognuno dei quali possiede fino a 10 000 connessioni con altre cellule, è una rete incredibilmente complessa. Con l’entrata in funzione di grandi computer, come JUPITER a Jülich, l’intelligenza artificiale ci permetterà di elaborare scenari virtuali utili per prevedere gli effetti di determinate terapie per la cura di malattie del cervello.


L’amore è tutta chimica
La cellula nervosa lezione 1
Guarda il video e scrivi le risposte sul quaderno.
CARTA PENNA COMPUTER

Aiuto, c’è un ragno!
1. Come risponde alla paura il nostro sistema nervoso?
2. Quali sono le reazioni dell’organismo quando la paura è acuta e improvvisa?
3. In quale stato è l’organismo quando si trova nella situazione di “attacco o fuga”?
4. Perché la paura ha una funzione sociale?
1 Stimoli e risposte
Metti in pausa il video nei seguenti punti.


5. Descrivi i tipi di reazione alla paura che si verificano nelle due situazioni.
I continui cambiamenti che avvengono nell’ambiente costringono gli esseri viventi a rispondere in maniera adeguata per poter sopravvivere.
Lo stimolo è un cambiamento ambientale che un organismo è in grado di recepire. La risposta è la reazione messa in atto dall’organismo per rispondere a un particolare stimolo.
Alcuni stimoli, come la luce o i suoni, sono esterni all’organismo; altri, come il dolore o la sete, sono stimoli interni.
L’integrazione degli stimoli e l’elaborazione delle risposte sono affidate a due sistemi: il sistema nervoso e il sistema endocrino. La differenza tra i due sistemi consiste nel tipo di messaggio prodotto e nella sua velocità. Nel sistema nervoso i messaggi sono impulsi elettrici che viaggiano a grande velocità all’interno delle cellule nervose. Nel sistema endocrino, invece, i messaggi sono sostanze chimiche prodotte da ghiandole, gli ormoni, che si muovono trascinati dal flusso sanguigno.
2 Il sistema nervoso
Mentre leggi queste righe, milioni di molecole e impulsi elettrici arrivano al tuo cervello: riconoscono le lettere, poi le parole e il loro significato, i concetti in esse racchiusi e li mettono in relazione con la tua esperienza. Nel frattempo il tuo cervello lavora per mantenere in vita il tuo organismo, ti fa muovere e ti mantiene vigile, pronto a riconoscere gli eventuali cambiamenti che avvengono intorno a te e che i sensi raccolgono.
ORA FERMA L’IMMAGINE!
Il complesso sistema che si è attivato è il sistema nervoso, centro di comando e centro di comunicazione dell’organismo. È distinto nel sistema nervoso centrale, che comprende encefalo e midollo spinale, e nel sistema nervoso periferico, formato dai nervi 1
Il sistema nervoso è formato dai neuroni, che sono le cellule nervose, e dalle cellule gliali, molto più numerose, che forniscono nutrimento e sostegno ai neuroni proteggendoli da sostanze nocive, urti e lesioni.
Grazie alla sua particolare struttura, il sistema nervoso regola e controlla le diverse funzioni dell’organismo, assicura la relazione tra gli organi, riceve stimoli dall’esterno o dall’interno del corpo, invia comandi agli organi effettori, come i muscoli e le ghiandole, che rispondono agli stimoli con una reazione.
Inoltre, il sistema nervoso ci conferisce facoltà mentali come l’apprendimento, la memoria e il ragionamento.
3 I neuroni
L’unità fondamentale del sistema nervoso è la cellula nervosa, chiamata neurone 2
I neuroni hanno il compito di trasmettere gli impulsi elettrici ad altri neuroni o all’organo a cui sono destinati. Hanno una forma a stella, diversa da quella di tutte le altre cellule del nostro corpo.
Dal corpo cellulare, che contiene il nucleo e gli organuli e costituisce la parte centrale del neurone, si dipartono dei prolungamenti corti e numerosi disposti a raggiera, i dendriti , e l’assone, un prolungamento che può raggiungere il metro di lunghezza.
L’assone è rivestito da speciali cellule, le cellule di Schwann, che formano una struttura protettiva chiamata guaina mielinica . Il rivestimento non è continuo ma presenta degli spazi, i nodi di Ranvier, in cui l’assone rimane scoperto. Ciascun assone termina con delle brevi ramificazioni, su ognuna delle quali si trova un rigonfiamento, il bottone sinaptico. Gli assoni si riuniscono in fasci e costituiscono i nervi. I dendriti ricevono l’impulso elettrico e lo fanno arrivare al corpo cellulare; da lì l’impulso si propaga lungo l’assone, che lo trasmette ai dendriti di un neurone adiacente oppure a un muscolo o a una ghiandola dell’organismo. La struttura discontinua della guaina mielinica rende più veloce la trasmissione degli impulsi elettrici.
1 L’organizzazione del sistema nervoso.
nervi
midollo spinale encefalo
dendrite
corpo cellulare
nucleo
assone
sinapsi
2 Struttura di un neurone.
trasmissione segnale elettrico
trasmissione segnale elettrico nucleo mielina mielina
stimolo
3 Trasmissione del segnale elettrico attraverso i tre tipi di neuroni.
risposta
I neuroni hanno forme e dimensioni diverse in base alle funzioni che svolgono.
• I neuroni sensoriali hanno un corpo cellulare voluminoso, da cui partono due prolungamenti rivestiti della guaina mielinica. Essi ricevono gli stimoli inviati dall’ambiente esterno (per esempio luce, odori, suoni, variazioni di temperatura) o interno (per esempio lo stimolo della fame) e li trasmettono sotto forma di impulsi elettrici all’encefalo e al midollo spinale.
• I neuroni motori presentano anch’essi un corpo cellulare, da cui si dipartono numerosi dendriti e un lungo assone. Essi inviano agli organi effettori le risposte a uno stimolo elaborato dal sistema nervoso centrale.
• I neuroni associativi hanno un assone corto e privo di guaina mielinica e sono più piccoli. Svolgono la funzione di collegamento, mettendo in relazione i neuroni sensoriali con i neuroni motori 3
4 La trasmissione dell’impulso nervoso
I messaggi inviati dal sistema nervoso provocano una serie di eventi chimici ed elettrici nella membrana dei prolungamenti dei neuroni.
L’impulso elettrico si muove lungo gli assoni e i dendriti grazie a due elementi chimici, il sodio (Na) e il potassio (K), presenti in prossimità della membrana dei neuroni sotto forma di ioni Na+ e K+. Questi ioni possono attraversare la membrana dei neuroni e concentrarsi in misura diversa all’interno e all’esterno.
In condizioni di riposo, l’esterno del neurone è positivo per un eccesso di ioni Na+, mentre l’interno è negativo per la bassa quantità di ioni K+. Questa differenza di cariche si chiama potenziale di riposo. Quando arriva un impulso elettrico, gli ioni Na+ attraversano la membrana grazie a speciali proteine che formano un “canale” temporaneo. In questo modo provocano un’improvvisa inversione della polarità, chiamata potenziale d’azione, che si trasmette lungo il prolungamento del neurone.
Il passaggio dell’impulso da un neurone all’altro avviene in corrispondenza della sinapsi 4
La sinapsi è una regione che comprende il bottone sinaptico dell’assone di un neurone e il dendrite di un altro.
Il bottone sinaptico e il dendrite sono molto vicini tra loro ma non sono a diretto contatto: sono separati da un piccolo spazio, chiamato spazio sinaptico. Per superarlo, l’impulso elettrico si trasforma in messaggio chimico.
All’interno del bottone sinaptico sono presenti delle vescicole che contengono diversi tipi di sostanze chimiche chiamate neurotrasmettitori
Quando un impulso elettrico raggiunge il bottone sinaptico, le vescicole si spostano verso lo spazio sinaptico, si aprono e rilasciano i neurotrasmettitori. Questi si legano ai recettori presenti sul dendrite del neurone vicino: il legame tra i neurotrasmettitori e i recettori apre i canali della membrana e permette l’ingresso di ioni Na+, facendo procedere l’impulso. Una volta che l’impulso elettrico è passato, il neurotrasmettitore viene riassorbito e la cellula è pronta per una nuova connessione.
Ogni sinapsi funziona come un interruttore a senso unico: l’impulso viaggia in una sola direzione, dalla terminazione dell’assone di un neurone ai dendriti di un altro neurone.
Quando il collegamento avviene non con un’altra cellula nervosa, ma per esempio con un muscolo, il rilascio del neurotrasmettitore provoca la contrazione del muscolo.
Alterazioni nella trasmissione degli impulsi elettrici, a causa della diminuzione di alcuni tipi di neurotrasmettitori come acetilcolina e dopamina, possono causare malattie neurodegenerative come il morbo di Alzheimer e il morbo di Parkinson.
neurone presinaptico

4 La sinapsi.
vescicola con neurotrasmettitore
spazio sinaptico
sinapsi
assone
neurotrasmettitore
recettori
sinapsi
FISSA I CONTENUTI ESSENZIALI
Sottolinea il termine corretto tra i due proposti.
1. I messaggi del sistema nervoso sono messaggi chimici/elettrici.
2. I nervi sono formati da fasci di assoni/dendriti
3. Gli odori sono ricevuti da neuroni associativi/sensoriali.
4. In corrispondenza degli assoni/delle sinapsi i neuroni sono molto vicini.
VERSO LE COMPETENZE
Rispondi alle domande.
1. Che cos’è l’assone?
2. Che cos’è il potenziale di riposo?
3. Che cosa avviene in corrispondenza della sinapsi?
dendrite di un neurone adiacente
neurone postsinaptico
L’impulso nervoso
Il sistema nervoso centrale lezione 2
LAB STEM
SENSAZIONI DAL CERVELLO
In qualunque momento della vita milioni di stimoli arrivano al tuo cervello, che li decodifica e li mette in relazione con esperienze precedenti. In contemporanea questo organo fondamentale lavora per mantenere in vita il tuo organismo, ti fa muovere, ti mantiene vigile e pronto a riconoscere cambiamenti e stimoli provenienti dall’esterno e dall’interno del corpo, elaborando risposte in genere appropriate. Per realizzare le esperienze che ti proponiamo non servono materiali: basta la collaborazione di un amico o di un’amica! Nel primo esperimento collabora con te, nel secondo svolge il ruolo di osservatore.
PROCEDIMENTO
1. Metti il palmo della tua mano destra a contatto con il palmo della mano sinistra del tuo amico o della tua amica.
2. Con il pollice e l’indice della mano libera strofina il lato esterno degli indici delle mani unite.
■ OSSERVA E RISPONDI
1. Quale sensazione ti restituisce il cervello?
2. Perché una parte del dito strofinato sembra addormentata?
3. Pur essendo cosciente delle azioni che compi non puoi modificare il messaggio errato in uscita dal cervello. Quali riflessioni puoi ricavare da questa esperienza?
4. Scrivi la relazione dell’esperimento.
PROCEDIMENTO
1. Con la mano destra datti dei piccoli colpi sulla testa e, contemporaneamente, dei piccoli colpi allo stomaco con la mano sinistra.
2. Ora continua con i colpetti alla testa, ma con la mano sinistra massaggia il tuo stomaco con movimenti circolari.
3. Ora scambia i movimenti: compi dei movimenti circolari sulla testa e dai piccoli colpi allo stomaco.
■ OSSERVA E RISPONDI
1. Quale tipo di combinazione di movimenti è più facile?
2. Il tuo cervello è in grado di compiere agevolmente entrambi i movimenti, ma come mai è così difficile farli in contemporanea?
3. Hai mai sentito parlare di capacità di concentrazione?
4. Sapresti valutare la tua?
5. Scrivi la relazione dell’esperimento.
1
La struttura del sistema nervoso centrale
Il sistema nervoso centrale ha la funzione di ricevere e interpretare tutti i segnali in arrivo, di elaborarli e coordinarli, e di fornire le risposte adeguate.
Il sistema nervoso centrale è formato dall’encefalo e dal midollo spinale.
I due organi sono ben protetti all’interno del corpo umano: l’encefalo è circondato dalle ossa della scatola cranica, mentre il midollo spinale si allunga nelle vertebre della colonna vertebrale. Entrambi poi sono rivestiti da tre membrane sovrapposte, chiamate meningi:
• la pia madre, la membrana più interna ricca di capillari sanguigni, nutre le cellule nervose;
• l’aracnoide, intermedia, è la sottile membrana che delimita lo spazio in cui si raccoglie il liquido cefalorachidiano, una specie di cuscinetto protettivo che ripara dagli urti il tessuto nervoso;
• la dura madre, la membrana più esterna, riveste l’interno della scatola cranica e del canale vertebrale.
Il tessuto che forma il sistema nervoso centrale è di due tipi e si possono distinguere al microscopio ottico per il diverso colore: sono la sostanza grigia e la sostanza bianca. La sostanza grigia è formata dai corpi cellulari e dai dendriti dei neuroni, mentre la sostanza bianca è costituita dalla guaina mielinica che ricopre gli assoni degli stessi neuroni.
2 L’encefalo
L’encefalo comprende il cervello, il cervelletto e il midollo allungato 1 .
■ Il cervello
Il cervello è la parte più complessa e misteriosa del corpo umano. Secondo recenti ricerche, il nostro cervello è il risultato della sovrapposizione di più parti, ciascuna delle quali si è aggiunta alla precedente nel corso dell’evoluzione dei vertebrati.
La parte più antica, alla quale è affidata la nostra sopravvivenza, è il “cervello dei rettili”, che controlla le funzioni involontarie, come la respirazione e la circolazione sanguigna. A esso si è aggiunto il “cervello dei mammiferi primitivi”, che controlla i movimenti istintivi e le emozioni. A questo si è poi sovrapposta la corteccia cerebrale, sede dell’intelligenza e del linguaggio.
Con quali numeri si può descrivere il cervello?
1500 grammi è il peso del cervello di un uomo adulto, ma alla nascita è compreso tra 350 e 400 grammi.
86 miliardi è il numero stimato dei neuroni che formano il cervello.
10 000 sono le connessioni tra un neurone e gli altri.
8 mesi è il periodo dello sviluppo fetale durante il quale si formano tutti i neuroni dell’individuo, circa 250 000 al minuto. A partire da 30-40 anni, invece, i neuroni cominciano a morire al ritmo di 100 000 al giorno, ma sono sostituiti da nuove cellule.

1 Le parti dell’encefalo.
cervelletto
midollo allungato
midollo spinale
Il cervello
cervello
encefalo
circonvoluzioni cerebrali
sostanza bianca

Il cervello è la parte più voluminosa dell’encefalo: un profondo solco divide il cervello in due emisferi, l’emisfero cerebrale destro e l’emisfero cerebrale sinistro.
L’emisfero destro e quello sinistro sono separati da un profondo solco ma sono collegati tra loro da un fascio di fibre nervose, il corpo calloso 2
Ogni emisfero riceve, elabora e coordina le risposte provenienti prevalentemente dalla parte opposta del corpo: per esempio, l’area motrice e sensitiva dell’emisfero destro coordina la parte sinistra del corpo e viceversa.
La parte più esterna degli emisferi è la corteccia cerebrale, costituita da un sottile strato di sostanza grigia spesso appena 2-6 mm. La corteccia cerebrale si presenta attraversata da rilievi sinuosi e ripiegamenti, le circonvoluzioni cerebrali, che fanno aumentare notevolmente la sua superficie.
Internamente i due emisferi cerebrali sono costituiti dalla sostanza bianca 3 . Qui si trovano due strutture, il talamo e l’ipotalamo; esse regolano diverse funzioni del corpo, come lo stimolo della fame e della sete, il ritmo di veglia e sonno, e il dolore. Talamo e ipotalamo svolgono anche un ruolo determinante nella connessione tra il sistema nervoso centrale e il sistema endocrino.

sostanza grigia (corteccia cerebrale)
4 Il midollo spinale è racchiuso nel canale vertebrale.
3 Sezione del cervello. vertebra sostanza grigia sostanza bianca ner vo spinale


Il cervelletto e il midollo allungato
Il cervelletto è collocato sotto il cervello, nella parte posteriore del cranio; è diviso in due emisferi, anch’essi formati da sostanza bianca e da sostanza grigia.
Il cervelletto esercita il controllo dei movimenti volontari: dosa la forza con la quale vengono compiuti, per far sì che si svolgano in modo preciso e armonico, e controlla in ogni istante l’equilibrio del corpo.
Il midollo allungato si estende dalla parte centrale dell’encefalo e si collega con il midollo spinale.
Al contrario del cervello, il midollo allungato è costituito all’esterno da sostanza bianca e all’interno da sostanza grigia. In questa parte dell’encefalo passano tutti i nervi che raggiungono il cervello e sono contenuti i centri nervosi che regolano le attività automatiche dell’organismo, come il battito cardiaco, la respirazione, la deglutizione e l’attività muscolare delle pareti dell’intestino.
3 Il midollo spinale
Il midollo spinale è un cordone di tessuto nervoso che si estende dal midollo allungato fino alle ossa del bacino.
Il midollo spinale è lungo circa mezzo metro e ha un diametro di 2 cm; è costituito all’esterno da sostanza bianca, che contiene i nervi, e all’interno da sostanza grigia 4 . In sezione il midollo spinale presenta una caratteristica forma ad H, in cui si distinguono due coppie di prolungamenti: le corna anteriori e le corna posteriori. Alle corna posteriori arrivano i nervi sensoriali che portano al cervello gli stimoli raccolti dagli
organi di senso; dalle corna anteriori partono i nervi motori che portano agli organi effettori i comandi elaborati dal cervello.
Nel midollo spinale ha luogo la risposta nervosa più semplice e immediata a uno stimolo esterno, l’ arco riflesso, un atto involontario che coinvolge solo il midollo spina le 5 . Lo stimolo sensoriale viene comunque inviato anche all’encefalo che, se è ne cessario, interviene con una risposta più complessa.
neurone sensoriale
neurone motore


3
stimolo sensoriale

al muscolo della g im
Un neurone motore invia la risposta al muscolo della gamba, che si contrae immediatamente.
1 neuronesens lo stimolo al mido
Un neurone sensoriale invia lo stimolo al midollo spinale.
2 assoc o a un ne

rna anteriori
Un neurone associativo trasmette lo stimolo a un neurone motore corna posteriori





neurone associato sostanza bianca corna posteriori

3
Un neurone motore invia la risposta al muscolo della gamba, che si contrae immediatamente.

3


Le fasi dell’arco riflesso.
1 Un neuronesens lo stimolo al mido
Un neurone sensoriale invia lo stimolo al midollo spinale.
2 Un neurone assoc o a un ne rna anteriori

corna posteriori al muscolo della g im


Un neurone associativo trasmette lo stimolo a un neurone motore

Un neurone motore invia la risposta al muscolo della gamba, che si contrae immediatamente.

1 Un neuronesens lo stimolo al mido
Un neurone sensoriale invia lo stimolo al midollo spinale.
2 Un neurone assoc o a un ne rna anteriori
Le infezioni del sistema nervoso centrale

corna posteriori al muscolo della g im

è una grave malattia provocata da un virus che attacca il midollo spi nale; causa la paralisi dei nervi e, di conseguenza, di tutte le parti del corpo a cui questi sono collegati. Se viene bloccato il diaframma, il muscolo che permette la re spirazione polmonare, sopraggiunge la morte. Oggi la poliomielite è stata sconfitta in quasi tutto il mondo, grazie alla campagna di vaccinazione obbligatoria. è l’infiammazione delle meningi che avvolgono e proteggono il cervello e il midollo spinale; può essere causata da batteri o da virus. È una malattia grave e molto contagiosa, che si diffonde soprattutto tra i bambini e i giovani. Il tetano è provocato dal batterio Clostridium tetani, che vive abitualmente nell’intestino degli animali erbivori e passa nel terreno con le loro feci. Quando il batterio infetta il sangue umano attraverso una ferita, produce sostanze tossiche che colpiscono il sistema nervoso, causando spasmi muscolari, paralisi e morte. Il tetano può essere evitato con le vaccinazioni, da ripetere periodicamente, l’igiene accurata e una pronta disinfezione delle ferite.
FISSA I CONTENUTI ESSENZIALI
Segna con una crocetta se vero (V) o falso (F).
1. Il sistema nervoso centrale è formato solo dal cervello.
3. Il cervelletto controlla i movimenti involontari.


Un neurone associativo trasmette lo stimolo a un neurone motore.

2. La guaina mielinica che ricopre gli assoni dei neuroni forma la sostanza bianca.
4. Il midollo spinale è racchiuso dalla colonna vertebrale.
VISUAL

il nostro cervello? Come funziona
La corteccia che riveste i due emisferi cerebrali è suddivisa in quattro lobi (frontale, parietale, occipitale e temporale), sui quali sono state identificate le aree specializzate a compiere le diverse funzioni del cervello.
AREA MOTORIA
Si trova nella zona anteriore alla scissura di Rolando: presiede al movimento dei muscoli volontari, si attiva in risposta ad uno stimolo di movimento e predispone l’ordine dei movimenti che devono essere eseguiti in sequenza. L’area oculo-motoria si attiva per indirizzare lo sguardo in una particolare zona del campo visivo.
AREA PREFRONTALE
È sede dei centri che compiono le funzioni più complesse del cervello, come il pensiero e la capacità di astrazione.

AREA DEL LINGUAGGIO
Quest’area, detta anche area di Broca, controlla la pronuncia delle parole e la costruzione del linguaggio.

AREA OLFATTIVA
Riceve, elabora e integra le informazioni che viaggiano nel nervo olfattivo trasformandole nella percezione di odori.
LOBO FRONTALE
Scissura di Rolando
AREA DELLA SENSIBILITÀ GENERALE
Si trova nella zona posteriorealla scissura di Rolando: reagisce agli stimoli meccanici che provengono dalla pelle e identifica a loro sede e la forza.

PARIETALE
TEMPORALE

AREA UDITIVA

AREA ASSOCIATIVA CORPOREA
Interpreta le complesse interazioni esistenti tra gli stimoli meccanici ricevuti da tutto il corpo.
AREA ASSOCIATIVA PARIETALE
Riceve informazioni visive e definisce posizione e identità dell’oggetto, collegando la sensibilità corporeaalla vista e all’udito.
AREA VISIVA
In questo lobo si trovano l’area visiva primaria, che scompone le informazioni provenienti dalla retina in relazione a posizione, inclinazione e colore degli oggetti, e l’area visiva secondaria, che definisce la profondità della visione.
Riceve i suoni e ne distingue l’intensità e la frequenza. Nello stesso lobo si trova l’area associativa temporale superiore, che memorizza i suoni.

CARTA PENNA COMPUTER lezione 3

Videogame e pensiero
Il sistema nervoso periferico
Guarda il video e scrivi le risposte sul quaderno.
1. Quali aree del cervello sono coinvolte quando si gioca con un videogioco?
2. Che tipo di risposte sono elaborate?
3. Quali effetti negativi sono da tenere in considerazione?
4. Come si manifesta la sindrome di Hikikomori?
Che cos’è il giuramento di Ippocrate?
Ippocrate, vissuto circa 2500 anni fa, sull’isola di Kos, in Grecia, è considerato il padre della medicina. Fu uno dei primi medici a sostenere che le malattie non erano provocate dagli dèi, ma da cause naturali, come l’alimentazione, il clima, lo stile di vita. A lui sono attribuiti moltissimi testi importanti sulla salute e la medicina, che furono studiati e usati per molti secoli. Il famoso giuramento che ancora oggi molti medici fanno porta il suo nome: è un impegno speciale che li aiuta a ricordare ad ogni medico i valori importanti della sua professione.
1
ORA FERMA L’IMMAGINE!
Metti in pausa il video nel seguente punto.
5. Quali strutture del cervello provocano in noi una sensazione di gioia e di esultanza quando giochiamo con un videogame?

L’organizzazione del sistema nervoso
Le funzioni del sistema nervoso sono numerose e complesse: inviare le risposte agli stimoli che provengono dall’ambiente esterno e dall’interno dell’organismo, controllare e regolare le funzioni di tutti gli organi, pensare, ragionare e avere coscienza di se stessi. Tutto questo è possibile grazie all’azione coordinata delle due componenti del sistema nervoso, il sistema nervoso centrale e il sistema nervoso periferico. I due sistemi sono diversi, oltre che per le funzioni che svolgono, anche per la loro anatomia: il sistema nervoso centrale è formato da due organi, l’encefalo e il midollo spinale, mentre quello periferico è costituito dai nervi, strutture formate dagli assoni dei neuroni 1 .
SISTEMA NERVOSO
1 L’organizzazione del sistema nervoso.
2 Un sistema di collegamento
Il sistema nervoso periferico controlla tutte le attività muscolari che l’organismo è in grado di compiere e invia al cervello tutte le sensazioni provenienti dalla superficie dell’organismo o dal suo interno. I collegamenti tra il sistema nervoso periferico e le altre parti dell’organismo sono effettuate dai nervi e dai gangli
I nervi sono fasci di fibre nervose, gli assoni dei neuroni, avvolti da tessuto connettivo e irrorati da un vaso sanguigno.
A seconda della loro funzione, i nervi vengono distinti in sensitivi, motori e misti.
• I nervi sensitivi sono formati da fibre che trasmettono gli impulsi nervosi dagli organi di senso al sistema nervoso centrale.
• I nervi motori sono formati da fibre che trasportano gli impulsi dal sistema nervoso centrale ai muscoli o alle ghiandole.
• I nervi misti, formati da fibre sensitive e da fibre motorie, svolgono le funzioni di entrambi i tipi di nervi.
Lungo il percorso dei nervi si trovano dei raggruppamenti di neuroni, i gangli.
I gangli sono ammassi di cellule nervose, localizzati lungo la colonna vertebrale, dai quali partono le fibre nervose.
La loro funzione è quella di interrompere l’eccessiva lunghezza di certi assoni che compongono il nervo.
Il sistema nervoso periferico si divide in due parti: sistema nervoso volontario, o somatico, e sistema nervoso autonomo, o vegetativo
3 Il sistema nervoso volontario

La struttura del nervo
2 L’organizzazione del sistema nervoso periferico.

ner vi cranici
Il sistema nervoso volontario controlla l’azione dei muscoli volontari; è costituito da 12 paia di nervi cranici e 31 paia di nervi spinali 2 .
ner vi spinali gangli
I nervi cranici partono tutti dall’encefalo e raggiungono, nella maggior parte dei casi, i diversi organi del capo e del collo. Alcuni sono nervi sensitivi e raggiungono gli organi di senso, come il nervo acustico che raccoglie gli stimoli uditivi; alcuni sono nervi motori e sono collegati ai muscoli, come il nervo oculomotore che innerva i muscoli dell’occhio; altri sono nervi misti, come il nervo trigemino che assicura l’innervazione sensitiva della faccia ed è allo stesso tempo il nervo motore dei muscoli adibiti alla masticazione.
ner vi simpatici

ner vi parasimpatic gli e vi simpatici
I nervi spinali partono dal midollo spinale, uscendo attraverso le aperture presenti tra una vertebra e l’altra, e si diramano nel tronco e negli arti. Sono tutti nervi misti, essendo composti da fibre motorie e fibre sensitive. Le fibre motorie partono dalle corna anteriori del midollo spinale e si dirigono ai muscoli; le fibre sensitive provengono dagli organi di senso e giungono nelle corna posteriori del midollo spinale.


ner vi cranici
ner vi spinali
gangli
ner vi simpatici

ner vi parasimpatic gli e vi simpatici

DEBATE CYBERBULLISMO E SOCIAL NETWORK
SKILL BOOK
Due sistemi antagonisti.
sistema nervoso centrale
4 Il sistema nervoso autonomo
Il sistema nervoso autonomo è costituito per la maggior parte da nervi motori, che con le loro ramificazioni raggiungono la muscolatura liscia degli organi interni, la muscolatura cardiaca e le ghiandole. Essi regolano e controllano le funzioni vitali vegetative, cioè quelle che non dipendono dalla nostra volontà, come la respirazione, il battito cardiaco, la digestione, l’escrezione e l’attività delle ghiandole.
Il sistema nervoso autonomo è distinto in due sezioni che agiscono sugli stessi organi con azioni opposte e antagoniste: il sistema nervoso simpatico e il sistema nervoso parasimpatico 3 .
SISTEMA PARASIMPATICO
contrae le pupille
stimola la salivazione
costringe le vie aeree
rallenta il battito cardiaco
stimola la digestione
stimola la sintesi del glicogeno
stimola l’attività intestinale
contrae i muscoli della vescica
stimola l’erezione del pene o del clitoride
tratto cevicale del midollo spinale
tratto toracico del midollo spinale
tratto lombare del midollo spinale
tratto sacrale del midollo spinale
nervi cranici
SISTEMA SIMPATICO
dilata le pupille
inibisce la salivazione
dilata le vie aeree
accelera il battito cardiaco
inibisce la digestione
stimola la demolizione del glicogeno e il rilascio del glucosio
inibisce l’attività intestinale
stimola la secrezione di adrenalina o noradrenalina
catena gangliare
stimola l’eiaculazione e la contrazione della vagina
rilascia i muscoli della vescica
cervello
Il sistema nervoso simpatico prepara gli organi ad affrontare attività che richiedono un notevole dispendio di energia accelerando le loro attività. È costituito da una catena di gangli posti ai lati della colonna vertebrale, collegati tra loro e al midollo spinale da fibre nervose, dai quali partono i nervi che raggiungono i vari organi. Il sistema nervoso parasimpatico svolge un’azione antagonista nei confronti del sistema simpatico, perché tende a rallentare le attività degli organi, portando l’organismo allo stato di riposo. È costituito da alcuni nervi cranici, tra cui il nervo vago che, attraverso numerose ramificazioni, innerva diversi organi, e da alcuni nervi spinali che si staccano dalla regione sacrale.
Il sistema nervoso simpatico è coinvolto nelle situazioni di agitazione fisico-emotiva e causa le reazioni FIGHT or FLIGHT, “combatti o fuggi”. Questo non perché si debba realmente correre o combattere in qualsiasi situazione di stress, ma perché nella preistoria del genere umano, queste erano le uniche opzioni che l’uomo aveva davanti a un pericolo. In questo tipo di situazioni si dilatano le nostre pupille, aumenta la pressione sanguigna e accelera il battito cardiaco, in modo che ai muscoli arrivi più ossigeno. Si tratta di meccanismi ancestrali, che si attivano quando il nostro cervello percepisce una minaccia. Al contrario, il sistema nervoso parasimpatico si attiva nei momenti di tranquillità e governa il meccanismo REST and DIGEST, “riposa e digerisci”. Controlla tutti quei sistemi che favoriscono la digestione e il sonno. Simpatico e parasimpatico innervano gli stessi organi: il loro corretto funzionamento è il risultato dell’equilibrio tra questi due sistemi.
FISSA I CONTENUTI ESSENZIALI
Segna con una crocetta se vero (V) o falso (F).
1. Il sistema nervoso periferico è formato da nervi e gangli.
2. I nervi cranici sono distribuiti in tutto il corpo.
Che cosa ci fa arrossire?
Si arrossisce per emozioni diverse, come imbarazzo o collera, e il rossore è improvviso e incontrollabile. Non è un’ammissione di colpa, ma una reazione del sistema nervoso autonomo parasimpatico. Lo stimolo nervoso dilata i vasi sanguigni superficiali della cute, aumentando il flusso di sangue, ma limitatamente al viso perché questo tipo di innervazione è specifico di un’area delle guance, detta appunto “del rossore”.

3. Il sistema nervoso autonomo è costituito per lo più da nervi motori.
4. I nervi spinali sono misti.
VERSO LE COMPETENZE
Completa la tabella associando a ogni funzione il sistema che la controlla.
Sistema simpatico Sistema parasimpatico
Inspirazione x
Espirazione x
Stimolazione della digestione x
Demolizione del glicogeno x
Secrezione di adrenalina x
Dilatazione delle pupille x
Il sistema endocrino lezione 4
Esplora l’oggetto interattivo e scrivi le risposte sul quaderno.
CARTA PENNA COMPUTER

Il ritmo circadiano
1. Che cos’è il ritmo circadiano?
2. Quale parte del cervello regola il ritmo circadiano? In che modo?
3. Quali funzioni svolge la ghiandola epifisi?
4. Come si chiama l’ormone che facilita il sonno?
5. Che cosa può alterare il ritmo circadiano?
1
vaso sanguigno
ORA FERMA L’IMMAGINE!
Metti in pausa il video nei seguenti punti.

6. Per ogni disegno scrivi una didascalia che spieghi che cosa accade nel nostro organismo in queste ore del giorno e per quale ragione.
Le ghiandole endocrine


Il sistema endocrino collabora con il sistema nervoso per controllare alcune importantissime funzioni dell’organismo.
Il sistema endocrino è costituito dalle ghiandole endocrine, che producono gli ormoni e li immettono nel circolo sanguigno.


cellule ghiandolari cellula bersaglio con recettore







ormoni



Le ghiandole endocrine sono raggruppamenti di cellule immersi in una fitta rete di capillari: negli spazi tra una cellula e l’altra, le cellule liberano gli ormoni, che entrano nei capillari sanguigni e possono così raggiungere tutte le parti del corpo.
Gli ormoni sono messaggeri chimici che, tramite il sangue, raggiungono l’organo a cui sono destinati, l’organo bersaglio.
Ogni ormone agisce solo su determinati organi bersaglio che sono provvisti di recettori specifici sulla membrana 1 .
Le ghiandole endocrine sono situate in varie parti del corpo. Sono l’ipofisi, l’epifisi, la tiroide, il timo, il pancreas, le ghiandole surrenali, le ovaie e i testicoli 2
2 Le principali ghiandole endocrine.
Epifisi
Si trova nella parte centrale dell’encefalo. Produce la melatonina, che regola i ritmi biologici, in particolare il ritmo sonno-veglia.
Timo
È posto nella parte superiore del torace. Produce la timosina, che interviene nella produzione dei linfociti.
Tiroide
È localizzata alla base del collo. Produce due ormoni: la tiroxina, che regola il metabolismo dei tessuti e in fase giovanile controlla i processi di crescita; la calcitonina, che controlla la quantità di calcio nel sangue.
Ovaie
Secernono gli estrogeni, che favoriscono lo sviluppo dei caratteri sessuali secondari femminili e regolano il ciclo mestruale, e il progesterone, che favorisce la fecondazione e l’annidamento dell’ovulo.
Testicoli
Ipofisi
Produce diversi ormoni, tra cui:
• l’ormone della crescita, che stimola la proliferazione delle cellule cartilaginee e di quelle dei muscoli scheletrici, fissa il calcio nelle ossa e stimola la sintesi delle proteine;


• l’ossitocina, che stimola le contrazioni dell’utero in fase di travaglio;
• la prolattina, che attiva la produzione di latte da parte delle ghiandole mammarie dopo il parto;
• la vasopressina, che controlla il bilancio idrico del sangue.



Producono il testosterone, che determina i caratteri sessuali secondari maschili, stimola la maturazione degli spermatozoi e la quantità e qualità dello sperma prodotto.
Pancreas
Svolge sia un’attività esocrina, producendo enzimi digestivi, sia un’attività endocrina.
Secerne due ormoni: l’insulina, che riduce la quantità di glucosio presente nel sangue, e il glucagone, che stimola il fegato a demolire il glicogeno e mettere in circolo il glucosio.
Ghiandole surrenali
Sono poste ciascuna sopra un rene. Producono tre ormoni:
• il cortisolo, che contrasta le infiammazioni; è detto anche ormone dello stress perché interviene in caso di condizioni critiche dell’organismo: in questo caso aumenta la glicemia, il battito cardiaco e l’utilizzo dei grassi accumulati;
• l’aldosterone, che aumenta la pressione sanguigna e controlla la quantità di sodio e di potassio nel sangue;
• l’adrenalina, che, oltre a essere un neurotrasmettitore che si attiva nelle sinapsi, viene prodotta come ormone in situazioni di “combatti o fuggi”, predisponendo il corpo a reazioni di emergenza.
UOMO
DONNA

Il sistema ipotalamo-ipofisi

stimoli esterni
2 Le relazioni tra sistema nervoso e sistema endocrino
Il sistema endocrino e il sistema nervoso collaborano e si integrano per fornire risposte ottimali alle variazioni dell’ambiente esterno e interno. Hanno però modalità d’azione diverse.
Il sistema nervoso entra in azione quando è necessaria una risposta rapida a uno stimolo: infatti gli impulsi nervosi si propagano a una velocità quasi istantanea (100 m in un secondo, cioè 360 km/h!). Il sistema endocrino, invece, regola e controlla processi a più lunga scadenza, come l’accrescimento del corpo, il raggiungimento della maturità sessuale e il mantenimento del bilancio idrico. Inoltre, gli ormoni impiegano un tempo più lungo per raggiungere gli organi cui sono destinati.
Il sistema nervoso e il sistema endocrino lavorano in modo coordinato grazie all’ ipotalamo, una porzione di sostanza grigia collocata nel cervello sotto il corpo calloso. L’ipotalamo regola le funzioni dell’ ipofisi , una ghiandola endocrina molto piccola, situata nella scatola cranica alla base del cervello.
L’ipotalamo riceve informazioni dell’ambiente esterno tramite gli organi di senso collegati ad altri centri cerebrali, e informazioni dell’ambiente interno attraverso il sangue. In seguito a questi stimoli, l’ipotalamo induce l’ipofisi a secernere ormoni che, a loro volta, controllano il rilascio di altri ormoni da parte di altre ghiandole 3 . L’ipofisi è direttamente connessa con l’ipotalamo attraverso un peduncolo in cui passano circa 100 000 fibre nervose. In questo modo l’ipotalamo controlla la secrezione dei numerosi ormoni prodotti dall’ipofisi. Il lobo posteriore dell’ipofisi produce ossitocina e vasopressina; il lobo anteriore produce sia ormoni che agiscono su molte cellule del corpo, come l’ormone della crescita, sia ormoni che stimolano l’attività di altre ghiandole, come la tiroide, le ghiandole surrenali, le ovaie e i testicoli 4 .
stimoli interni

Schema stimolo-ipotalamo-ipofisi.
ormone
lobo posteriore
organi di senso
ipotalamo

vaso sanguigno


altri centri cerebrali



ipotalamo ipofisi
che secerne gli ormoni

4 I lobi dell’ipofisi.


lobo anteriore
tiroide ghiandole surrenali
ovaie e testicoli
vaso sanguigno
ormoni prodotti dall’ipotalamo
lobo posteriore dell’ipofisi
ipotalamo


lobo anteriore dell’ipofisi

ormoni prodotti dall’ipofisi vaso sanguigno
3 Squilibri ormonali
Il meccanismo di funzionamento delle ghiandole endocrine è molto complesso e diversi fattori possono alterarlo. Per esempio si può creare una situazione di iperfunzione quando una ghiandola produce più ormoni di quanti ne servono, oppure di ipofunzione quando la produzione è insufficiente. L’ipertiroidismo è una condizione di eccessiva attività della tiroide, che provoca l’accelerazione dell’attività metabolica dell’organismo; l’ipotiroidismo è invece un’insufficiente produzione di ormoni tiroidei, provocata da una carenza di iodio nella dieta quotidiana. La produzione eccessiva di ormone della crescita, nota come gigantismo, determina una crescita insolitamente vigorosa di ossa e muscoli, portando l’individuo ad avere una statura ben al di sopra della media. Al contrario il nanismo, dovuto a un deficit di ormone della crescita, rallenta i processi di crescita, determinando adulti con una statura ben al di sotto della media.
Perché troppo stress fa male alla salute?
Quando ci troviamo in situazioni di emergenza le ghiandole surrenali producono cortisolo, chiamato anche “ormone dello stress”, che regola il metabolismo e aumenta i livelli di glucosio nel sangue per fornire energia durante situazioni di stress. Se però il livello di cortisolo rimane costantemente alto può diventare un nemico della salute: riduce le difese immunitarie, aumenta la pressione e la glicemia. Per riportarlo entro valori ottimali è bene fare attività fisica moderata e di tipo aerobico: 20-30 minuti di passeggiata a passo sostenuto, o una pedalata di mezz’ora ad andatura normale ogni giorno possono bastare!
FISSA I CONTENUTI ESSENZIALI
Abbina i termini con la definizione corretta.
CORTISOLO
1 Organo bersaglio a Ghiandola che ha anche compito di controllare altre ghiandole endocrine.
2 Ipofisi b Ormone prodotto dal pancreas.
3 Glucagone c Organo verso cui sono diretti gli ormoni.
4 Melatonina d Ormone che regola il ritmo sonno-veglia.
1: 2: 3: 4:
VERSO LE COMPETENZE
Rispondi alle domande.
Prima di diventare un campione, il calciatore argentino Lionel Messi ha avuto notevoli problemi di crescita. A 13 anni non superava l’altezza di 140 cm a causa di un basso livello di somatropina, l’ormone che regola i processi di crescita, per cui è stato sottoposto a terapia.
a. Da quale ghiandola è prodotto l’ormone della crescita?
b. Quale altra ghiandola interviene nei processi di crescita in età giovanile?
CON LA SINTESI
lezione 1 LA CELLULA NERVOSA
Il sistema nervoso controlla, regola e integra le diverse funzioni dell’organismo; riceve gli stimoli e reagisce a essi; è in grado di operare un ragionamento e ci permette di apprendere e memorizzare. L’unità funzionale del sistema nervoso è il neurone, costituito da un corpo cellulare da cui si dipartono due tipi di prolungamenti: i dendriti, più corti, e il lungo assone rivestito dalla guaina mielinica. L’unità fondamentale del sistema nervoso è il neurone, che riceve uno stimolo proveniente dai recettori o da altri neuroni, e lo trasmette sotto forma di impulso elettrico ad altri neuroni o all’organo a cui è destinato l’impulso. In base alla forma, alle dimensioni e alle funzioni che svolgono, i neuroni si distinguono in sensoriali, motori e associativi.
Quando arriva un impulso elettrico, si crea uno squilibrio di ioni tra l’interno e l’esterno della membrana del neurone: è il potenziale d’azione, che si trasmette lungo i prolungamenti del neurone permettendo il passaggio delle informazioni. Il passaggio dell’impulso tra l’assone di un neurone e il dendrite di un altro neurone avviene in una particolare zona di collegamento, detta sinapsi. Poiché l’assone di una cellula nervosa non è a diretto contatto con il dendrite di un’altra cellula nervosa, in corrispondenza dello spazio sinaptico si attivano i neurotrasmettitori chimici che permettono agli impulsi elettrici di passare da un neurone all’altro.
lezione 2 IL SISTEMA NERVOSO CENTRALE
Il sistema nervoso centrale ha la funzione di ricevere e interpretare i segnali in arrivo, di elaborarli, coordinarli e fornire risposte. Il sistema nervoso centrale comprende l’encefalo e il midollo spinale: sono organi ben protetti rispettivamente dal cranio e dalla colonna vertebrale e circondati da tre membrane: la pia madre, l’aracnoide e la dura madre, che, insieme, formano le meningi. L’encefalo è costituito dal cervello, dal cervelletto e dal midollo allungato. Il cervello è diviso in due emisferi, coperti da un sottile strato di materia grigia, la corteccia cerebrale, formata dai corpi cellulari di neuroni che presiedono alle più importanti funzioni nervose (pensiero e linguaggio). Al suo interno si trovano talamo e ipotalamo, che controllano diverse funzioni vitali.
cerebrali
vescicola con neurotrasmettitore

Il cervelletto si trova sotto al cervello, nella parte posteriore del cranio, e coordina l’attività muscolare nei movimenti volontari. Il midollo allungato, collegato con il midollo spinale, regola e controlla le funzioni involontarie, come la respirazione e il battito cardiaco. Il midollo spinale trasmette gli impulsi dal cervello agli organi e viceversa, ed è sede di alcune risposte riflesse.
lezione 3 IL SISTEMA NERVOSO PERIFERICO
Il sistema nervoso periferico connette il sistema nervoso centrale sia con i recettori sia con gli organi effettori, attraverso i nervi. Insieme ai nervi, che sono costituiti da fasci di assoni avvolti da tessuto connettivo e irrorati dai vasi sanguigni, il sistema nervoso periferico comprende i gangli, che sono ammassi di cellule nervose da cui partono le fibre nervose. La funzione dei gangli è interrompere l’eccessiva lunghezza di alcuni assoni che formano il nervo. Il sistema nervoso periferico si divide in due parti: sistema nervoso volontario e sistema nervoso autonomo. Il sistema nervoso volontario controlla i muscoli volontari ed è costituito da 12 paia di nervi cranici e 31 paia di nervi spinali. Il sistema nervoso autonomo è costituito per la maggior parte da nervi motori che raggiungono la muscolatura liscia degli organi interni, le ghiandole e il muscolo cardiaco. È formato da due sistemi, il sistema simpatico, che attiva gli organi e li predispone all’azione, e il sistema parasimpatico che, agendo in modo antagonista, li rallenta.
lezione 4 IL SISTEMA ENDOCRINO




Il sistema endocrino contribuisce, con il sistema nervoso, al controllo delle principali funzioni del nostro organismo per mezzo degli ormoni, sostanze chimiche secrete dalle ghiandole endocrine Gli ormoni raggiungono, attraverso la circolazione sanguigna, le cellule di un organo specifico, chiamato organo bersaglio, regolandone l’attività. Le ghiandole endocrine sono l’ipofisi, l’epifisi, la tiroide, il timo, il pancreas, le ghiandole surrenali, le ovaie e i testicoli. L’attività delle ghiandole endocrine è controllata dal sistema nervoso, in particolare dall’ipotalamo, situato in profondità nell’encefalo e connesso con l’ipofisi. L’ipofisi è una ghiandola endocrina molto piccola che produce ormoni che controllano il funzionamento di altre ghiandole endocrine come la tiroide, le ghiandole surrenali, le ovaie e i testicoli. Inoltre, secerne l’ormone della crescita, che stimola l’accrescimento, la vasopressina, l’ossitocina e la prolattina.
CON LA MAPPA
Adesso che hai ripassato i contenuti essenziali con la sintesi, prova a completare la mappa con le parole chiave suggerite e a trovare le definizioni corrispondenti.
encefalo - midollo allungato - midollo spinale - nervi cranici - neurone - ormoniperiferico - volontario
14. sistema endocrino
si divide in collabora con il che è costituito dalle che producono gli ha come unità fondamentale il costituito da
2. centrale
formato da
15. ghiandole endocrine
che si distingue in
formato da
a. Integra la sua attività con quella del sistema nervoso.
b. Sono nervi che partono dall’encefalo.
c. Cordone di tessuto nervoso che parte dall’encefalo e raggiunge il midollo spinale.
d. Parte più voluminosa dell’encefalo.
e. Sono i messaggeri chimici che raggiungono gli organi bersaglio.
6. cervello
7. cervelletto
10. involontario
nervi spinali
1. IL SISTEMA NERVOSO

lezione 1 LA CELLULA NERVOSA
1 Osserva il disegno e inserisci accanto a ogni termine il numero corrispondente.
a. Nucleo
b. Corpo cellulare c. Dendriti d. Assone
2 Scegli la soluzione corretta.
a. Quale sequenza rispetta l’ordine con il quale il sistema nervoso centrale risponde a uno stimolo dell’ambiente esterno?
1 Recettore, nervo motore, sistema nervoso centrale, nervo sensoriale.
2 Sistema nervoso centrale, recettore, nervo motore, nervo sensoriale.
3 Recettore, nervo sensoriale, sistema nervoso centrale, nervo motore.
4 Nervo sensoriale, sistema nervoso centrale, nervo motore, recettore.
b. La sinapsi è:
1 un neurone sensoriale.
2 un neurotrasmettitore.
3 un neurone associativo.
4 la zona dove avviene il passaggio dell’impulso nervoso da un neurone all’altro.
c. I neuroni motori:
1 sono piccoli e dotati di un assone privo di guaina mielinica.
2 ricevono gli stimoli provenienti dall’ambiente esterno.
3 inviano agli organi effettori le risposte agli stimoli.
4 hanno un grosso corpo cellulare e assoni rivestiti da guaina mielinica.
3 Segna con una crocetta se vero (V) o falso (F).
a. Il neurone è un organo a forma di stella.
b. La guaina mielinica ricopre gli assoni.
c. Il potenziale d’azione è sempre attivo.
d. I neurotrasmettitori sono impulsi elettrici.
lezione 2 IL SISTEMA NERVOSO CENTRALE
4 Scegli la soluzione errata.
a. Il cervello:
1 è rivestito dalle meningi.
2 è formato da sostanza bianca e sostanza grigia.
3 esercita il controllo dei movimenti volontari.
4 fa parte dell’encefalo.
b. Il midollo spinale:
1 è racchiuso nel canale vertebrale.
2 presenta la sostanza grigia all’esterno.
3 è sede dell’arco riflesso.
4 fa parte del sistema nervoso centrale.
c. La corteccia cerebrale:
1 è un sottile strato di sostanza grigia.
2 è la membrana che riveste l’interno della scatola cranica.
3 presenta le circonvoluzioni cerebrali.
4 è la parte più esterna dei due emisferi cerebrali.
5 Sottolinea il termine corretto tra i due proposti.
a. I due emisferi del cervello sono uniti/ separati dal corpo calloso.
b. La corteccia cerebrale è formata da sostanza grigia/bianca
c. Talamo e ipotalamo collegano il sistema nervoso con il sistema muscolare/endocrino
d. In un arco riflesso l’impulso arriva al cervello/midollo spinale
Osserva il disegno e inserisci accanto a ogni termine il numero corrispondente.
9 Sottolinea le parole sbagliate presenti nel brano.
Il sistema autonomo è costituito per la maggior parte di nervi sensoriali che con le loro ramificazioni raggiungono la muscolatura striata degli organi interni. Si divide in sistema simpatico, che prepara gli organi a svolgere le attività ed è costituito da una catena di nervi posti ai lati della colonna vertebrale, e sistema vegetativo che svolge un’azione antagonista.
lezione 4 IL SISTEMA ENDOCRINO
a. Cervello
b. Cervelletto
c. Midollo allungato
d. Midollo spinale
lezione 3 IL SISTEMA NERVOSO PERIFERICO
7 Osserva lo schema e inserisci accanto a ogni termine il numero corrispondente.
10 Segna con una crocetta se vero (V) o falso (F).
a. Le ghiandole endocrine riversano i loro prodotti nel sangue.
b. Gli ormoni portano messaggi chimici alle ghiandole endocrine.
c. Le ovaie producono testosterone.
d. Gli organi attivati dagli ormoni sono gli organi bersaglio.
e. L’ormone della crescita è prodotto dalla tiroide.
11 Sottolinea il termine corretto tra i due proposti.
1. In caso di stress le ghiandole surrenali secernono l’ormone glucagone /cortisolo.
2. Un’alterata produzione dell’ormone melatonina/ vasopressina può influenzare il ritmo sonno-veglia.
a. Autonomo
b. Centrale
c. Volontario
d. Periferico
e. Parasimpatico
f. Simpatico
8 Abbina i termini con la definizione corretta.
1. Nervo cranico
2. Nervo spinale
3. Ganglio
4. Sistema vegetativo
a Ammasso di cellule nervose.
b Sistema che controlla i muscoli involontari.
c Nervo collegato all’encefalo.
d Nervo collegato al midollo spinale.
1. 2. 3. 4.
3. L’ipofisi si trova alla base/a fianco del cervello.
4. Il sangue porta gli ormoni agli organi obiettivo /bersaglio
12 Abbina i termini con la definizione corretta.
1. Timosina
2. Insulina
3. Melatonina
4. Adrenalina
a Ormone prodotto dal pancreas
b Ormone prodotto dalle ghiandole surrenali
c Ormone prodotto dal timo
d Ormone prodotto dall’epifisi
1. 2. 3. 4.
INTERPRETARE UN MODELLO
E SPIEGARE UN FENOMENO
1 Osserva l’immagine e rispondi. Che cosa è illustrato nel disegno?
proteina per il passaggio del neurotrasmettitore

COMPRENDERE UN FENOMENO
3 L’immagine rappresenta un arco riflesso. Sulla base di quanto illustrato spiega in che cosa consiste e quali strutture corporee sono coinvolte.
RIFLETTERE E COMUNICARE
RICONOSCERE MODELLI E SPIEGARE
2 Osserva l’immagine e rispondi alle domande.
a. Quale struttura è rappresentata?



Le attività dell’apparato digerente sono controllate dal sistema nervoso autonomo. Rispondi alle domande sulla base di quanto hai appreso sull’apparato digerente e sul sistema nervoso.
b. A che cosa serve?



a. Da quale tipo di tessuto muscolare sono formate le pareti dello stomaco e dell’intestino?
Quale tipo di nervi raggiunge la muscolatura dei due organi?
Come agisce il sistema parasimpatico all’inizio della digestione?
c. Quali processi avvengono?




Come agisce il sistema simpatico?


ANALIZZARE E SPIEGARE UN FENOMENO


Analizza l’immagine e rispondi





Qual è il compito delle cellule ghiandolari?

b. Dove sono riversati gli ormoni?
c. A che cosa servono i recettori delle cellule bersaglio?
VERSO L’ESAME:
UTILIZZARE INFORMAZIONI DIGITALI
6 Forti emozioni o situazioni di stress possono provocare strani effetti allo stomaco e all’intestino: hai mai provato la sensazione di avere le “farfalle nello stomaco” o di sentire un “nodo nell’intestino”? Stomaco e intestino possiedono un loro sistema nervoso, chiamato sistema gastroenterico, dotato di una rete di neuroni indipendente dal cervello e dal midollo spinale. Alcuni cibi o situazioni emozionali particolari, stimolano questi neuroni a produrre e a rilasciare serotonina.
Ricerca in rete informazioni sul sistema gastroenterico e rispondi alle domande.
1. Quali sono le caratteristiche del sistema gastroenterico?
2. Perché si dice che mangiare cioccolato mette di buon umore? Quale neurotrasmettitore contiene?
3. Quali altri cibi aumentano la quantità di serotonina prodotta dall’organismo?
TRARRE INFORMAZIONI DA UN TESTO E RIFLETTERE SU SE STESSI
7 Leggi il brano.
ORMONI PER LA FELICITÀ
Secondo l’antica medicina orientale ogni organo è sede di un’emozione: il fegato sarebbe la sede della rabbia (pensa al detto “rodersi il fegato”), la milza della malinconia e del malumore, i reni della paura e il cuore dell’amore.
In realtà, gli organi hanno poco a che fare con le emozioni, è tutta questione di ormoni! La serotonina è l’ormone del buonumore, riduce l’ansia, l’aggressività e allevia il mal di testa. La dopamina è l’ormone dell’euforia, aumenta quando facciamo qualcosa che ci piace come mangiare il nostro cibo preferito, ascoltare la musica che ci piace.
L’ossitocina è l’ormone della felicità legato agli affetti più stretti, quali la famiglia o il partner; combatte lo stress e determina uno stato di quiete e di serenità, stimola il desiderio sessuale e favorisce l’empatia nelle relazioni.
L’adrenalina è l’ormone della forza: ci aiuta ad affrontare le avversità, ci dà quella forza e prontezza che mai avremmo pensato di avere. Solitamente è liberata nell’organismo quando facciamo sport o quando siamo spaventati.
Rispondi alle domande e svolgi le attività proposte da solo o in gruppo con i tuoi compagni.
1. È vero che la sede delle nostre emozioni sono gli organi del nostro corpo?
2. Quali sono gli effetti della dopamina?
3. Qual è l’ormone delle relazioni?
4. In quali situazioni si produce adrenalina?
5. L’adrenalina ci fa sentire invincibili: rincorrendo la sensazione di superare limiti sempre più alti, molti ragazzi compiono azioni estremamente pericolose per sé e per gli altri, spesso mettendo a rischio la vita. I social sono quotidianamente invasi da prodezze di tutti i generi compiute spesso da adolescenti.
Hai mai compiuto un’azione pericolosa solo per vedere quanti like arrivano?
Confrontati con i tuoi compagni su questo argomento e discuti del problema con gli insegnanti.


WILL ROBOTS
SURPASS HUMANS?
The use of AI technology is influencing most aspects of people’s lives: how far will it go? In the first half of the 20th century, science fiction introduced the concept of artificially intelligent robots to the world; since 1950, scientists, mathematicians and philosophers have worked on the concept of artificial intelligence (AI). Today those visionary ideas are becoming a reality. The fifth industrial revolution is based on a closer collaboration between human and artificial intelligence. AI has already been successful in several fields (from healthcare to war, from banking to entertainment) while in other areas research is accelerating. Prototypes of self-driving cars, for example, are already on the road. In the long term, the goal is general intelligence a machine as smart as, or even smarter than humans. But for some people, AI can seen as a threat. Isaac Asimov called it the ‘Frankenstein complex’, the fear that AI could dominate or replace us. Years ago, Stephen Hawking told the BBC that “the development of full artificial intelligence could spell the end of the human race… Humans, who are limited by slow biological evolution, couldn’t compete, and would be superseded.”
Read the text and answer the questions.
a. When did the concept of AI begin?
b. What applications of AI already exist today?
c. What did Stephen Hawking say?



SMART intelligente
lossario
I sensi unità

lezione 1
Il TATTO, il GUSTO E L’ oLFATTO
lezione 2
LA VISTA
lezione 3
L’ uDITO E L’ eQUILIBRIO

LEZIONI POWERPOINT in

BUONE NOTIZIE PER IL FUTURO
ORGANI DI SENSO ARTIFICIALI
Per le persone non vedenti a causa di danni al nervo ottico, per chi ha problemi di udito, ma anche per quelli che hanno carenze agli altri sensi, la tecnologia mette oggi a disposizione sistemi artificiali che collegano gli organi al cervello e si sostituiscono all’attività delle cellule che non sono più in grado di svolgere le loro funzioni. Gli organi sensoriali sono dispositivi che rilevano ed elaborano i segnali percepiti dai sensi e convertono queste informazioni in segnali comprensibili per l’utente: il loro scopo è quello di compensare le carenze dei sensi umani o di rendere più sensibili i sensi esistenti. Il loro funzionamento si basa su sensori neuromorfici di ultima generazione, sviluppati imitando la struttura e le funzioni delle reti neurali biologiche, che elaborano le informazioni in modo continuo e simultaneo.
In questo modo sono in grado, come il cervello, di svolgere compiti complessi con un basso consumo energetico. Gli occhi bionici, per esempio, aiutano le persone ipovedenti a percepire il mondo, mentre gli apparecchi acustici avanzati facilitano la comunicazione per chi ha problemi di udito. Inoltre, i sistemi di rilevamento artificiale di odori e sapori possono essere utilizzati per percepire sostanze pericolose, diventando un valido supporto nei processi di controllo qualità nell’industria alimentare.
il TATTO, il GUSTO E l ’ OLFATTO lezione 1
CARTA PENNA COMPUTER

Esplora l’oggetto interattivo e scrivi le risposte sul quaderno.

I ricettori sensoriali
1. Quali tipi di recettori sono sensibili alla puntura di uno spillo?
2. Come si chiamano i recettori che ci permettono la visione?
3. Grazie a quali recettori percepiamo il profumo dei fiori?
4. Con quali recettori la ragazza sente il sapore della mela che sta mangiando?
5. Grazie a quali recettori la ragazza avverte la temperatura dell’ambiente in cui si trova?
1 Uno strano modello: l’homunculus sensoriale
Perché non possiamo farci il solletico da soli?
L’area sensitiva primaria è un’area della corteccia cerebrale che raccoglie gli stimoli provenienti dai recettori distribuiti nella pelle, responsabili del senso del tatto. Il neurologo canadese Wilder Penfield (1891-1976) è stato il primo a studiare i collegamenti che legano quest’area della corteccia con le reazioni sensoriali. Egli ha scoperto che la superficie delle aree della corteccia è proporzionale alla densità di recettori distribuiti nelle diverse parti del corpo: le aree che governano le mani e le labbra, per esempio, sono molto più estese di quelle relative ai talloni e alla schiena, perché la densità di recettori tattili è molto più elevata. Penfield ha realizzato una mappa della corteccia cerebrale sulla quale è stato costruito il modellino dell’homunculus sensoriale, uno strano omino con mani e labbra enormi, perché queste parti del corpo sono proporzionali alla densità dei recettori tattili.

I ricercatori hanno scoperto che l’effetto del solletico è scatenato da un errore percettivo del cervello, che non riesce a prevedere dove si verrà toccati. Quando ci si tocca da soli il nostro cervello azzera la sensibilità, così da evitare inopportune crisi di risa ogni volta che ci si sfiora un’ascella o la pianta del piede. I meccanismi che attivano o disattivano questo blocco, tuttavia, non sono ancora del tutto chiari e serviranno ulteriori studi per approfondire questo particolare aspetto del nostro comportamento.
2 I recettori sensoriali
Il rilevamento, la decodificazione, il controllo e la risposta a quello che accade sia nel nostro organismo sia nell’ambiente circostante sono essenziali per la nostra sopravvivenza.
I recettori , costituiti da terminazioni nervose o da cellule specializzate collegate ai nervi, hanno il compito di raccogliere gli stimoli, che possono essere di tipo fisico o chimico, trasformandoli in impulsi elettrici che viaggiano attraverso i nervi. Quando raggiungono il sistema nervoso centrale, noi acquisiamo coscienza di questi stimoli e attraverso il cervello inviamo le risposte adeguate ai diversi organi.
La ricerca di Hasler
I recettori possono costituire veri e propri organi di senso, come gli occhi e le orecchie, oppure essere distribuiti in organi che svolgono anche altri compiti, come il naso, la lingua e la pelle. Alcuni recettori ricevono stimoli dall’interno del corpo: quelli che si trovano sulle pareti del tubo digerente, per esempio, inviano informazioni sul transito del cibo e sullo stato di riempimento dello stomaco, provocando la sensazione di sazietà che ci impedisce di continuare a mangiare oltre il necessario. Altri recettori, collocati in corrispondenza dei muscoli scheletrici e dei tendini, sono responsabili della propriocezione, cioè della percezione del movimento e della posizione del nostro corpo nello spazio. Il senso dell’equilibrio del corpo è determinato dall’azione combinata di questi recettori e della parte interna dell’orecchio. Ogni recettore è sensibile a un determinato tipo di stimolo. Se ne possono distinguere quattro gruppi: i chemiorecettori, i fotorecettori, i termorecettori e i meccanorecettori. I chemiorecettori sono sensibili alle sostanze chimiche, i fotorecettori alla luce, i termorecettori alle variazioni di temperatura e i meccanorecettori al dolore e alla pressione.
3 Il tatto
La pelle non svolge soltanto l’importante funzione di rivestire e proteggere l’organismo: è anche un sensibilissimo organo di senso, esteso quanto la superficie del corpo, che ci permette di ricevere un gran numero di sensazioni provenienti dall’ambiente esterno.
Il senso del tatto ha sede nella pelle, più precisamente nel derma, dove si trovano moltissimi recettori specializzati nel registrare il contatto, la pressione, il caldo, il freddo e altre informazioni su tutto ciò che tocchiamo 1 .
• I recettori della pressione sono responsabili della sensibilità tattile: sono particolarmente abbondanti nelle zone prive di peli come i polpastrelli delle dita, il palmo delle mani, la pianta dei piedi e le labbra. Vengono stimolati dalla pressione di un corpo sulla pelle.



1 Schema della pelle con i recettori del tatto.
I corpuscoli di Meissner sono sensibili al tocco leggero esercitato sulla pelle.
I corpuscoli del Golgi registrano pressioni lievi.
I corpuscoli di Ruffini registrano le variazioni della tensione superficiale della pelle.

I recettori della temperatura e del dolore non sono distribuiti in maniera uniforme nell’epidermide.
Le cellule di Merkel sono i più semplici recettori del tatto e si trovano tra l’epidermide e il derma.
I corpuscoli di Pacini registrano pressioni intense.

2 Ingrandimento di una papilla gustativa.
• I recettori del dolore sono delle terminazioni nervose libere che arrivano nella parte più superficiale della pelle, dove possono essere stimolate da diverse situazioni: quando uno stimolo (meccanico, termico, chimico) supera un certo livello chiamato soglia del dolore, i recettori entrano in azione e inviano al cervello un segnale che può essere di pericolo oppure di danno o di stato di malattia di un organo del corpo.
• I recettori sensibili alla tensione della pelle sono situati nella parte profonda del derma.
• I recettori della temperatura, o termorecettori, sensibili al caldo e al freddo, sono terminazioni nervose libere poste sulla superficie della pelle.
4 Il gusto



neuroni sensoriali

recettori del gusto ciglia dei recettori



3 La lingua riconosce i sapori dei cibi.
Studiando l’apparato digerente abbiamo visto l’importante ruolo svolto dalla lingua nella prima fase della digestione meccanica e l’abbiamo già identificata come sede del gusto, coadiuvata dal naso.
Il senso del gusto ci permette di riconoscere e distinguere i sapori; ha sede nella superficie dorsale della lingua.
Nel corso dell’evoluzione, il gusto ci ha permesso di distinguere quali cibi erano commestibili; ancora adesso ci permette di evitare cibi avariati e ci spinge a variare la nostra dieta.
I recettori del gusto sono concentrati sulla superficie dorsale della lingua; sono collocati in più di 3000 minuscole strutture visibili a occhio nudo, le papille gustative 2 Esistono due tipi di papille gustative: le papille filiformi e le papille fungiformi. Le papille filiformi percepiscono stimolazioni fisiche, come la consistenza del cibo, la sua temperatura e la forma.
Le papille fungiformi sono la vera sede dei recettori del gusto. Hanno l’aspetto di sporgenze circondate da un solco profondo, sulle cui pareti sono disposti in piccole cavità i calici gustativi , ciascuno costituito da alcune cellule di recettori e da cellule di sostegno.
Ogni recettore è provvisto di ciglia che sporgono nel solco che circonda la papilla, mentre intorno ai calici gustativi si aprono piccole ghiandole che producono dei succhi che, insieme alla saliva, sciolgono le sostanze presenti nel cibo. Quando le ciglia dei recettori vengono in contatto con queste soluzioni, si generano impulsi elettrici che sono convogliati alle fibre nervose che escono dai calici gustativi. Le fibre si riuniscono a loro volta in nervi che raggiungono l’area della corteccia cerebrale, dove gli impulsi vengono interpretati nei diversi sapori dei cibi.
I recettori del gusto sono “programmati” per ricevere sensazioni diverse. È stata dimostrata l’esistenza di almeno cinque tipi diversi di recettori, capaci di riconoscere cinque sapori principali: dolce do, salato, amaro e umami (termine che in giap ponese significa “saporito” ) 3
Quest’ultimo sapore è stato collegato a quello del glutammato, un amminoacido presente in diversi cibi ricchi di proteine (pesce, carne e formaggio) e usato come additivo nei dadi da brodo.

5 L’olfatto
Ti sarà certamente capitato di non riuscire a percepire i sapori a causa di un forte raffreddore o che ti venisse “l’acquolina in bocca” sentendo il profumo di un cibo particolarmente allettante: il senso dell’olfatto e quello del gusto, infatti, lavorano in stretta collaborazione. Non esiste un sapore che non ci dia anche una sensazione olfattiva, grazie alla quale possiamo gustare ciò che mangiamo.
Il senso dell’olfatto, chiamato anche odorato, ha sede nel naso, più precisamente nella mucosa olfattiva che ricopre la parte superiore delle cavità nasali 4 .
I recettori olfattivi sono cellule di forma allungata provviste di brevi ciglia rivolte verso l’interno delle cavità nasali, in direzione del flusso d’aria. Essi sono in grado di percepire e riconoscere le sostanze volatili contenute nell’aria che inspiriamo solo se sono in soluzione. Per questo motivo, la cavità nasale è costantemente inumidita grazie a un sottile strato di muco, nel quale si sciolgono le sostanze contenute nell’aria. Stimolati dalle sostanze in soluzione nel muco, i recettori olfattivi generano impulsi elettrici che passano nelle fibre nervose situate nel retro di ciascun recettore. Da lì gli impulsi confluiscono nel nervo olfattivo che a sua volta raggiunge il cervello, dove lo stimolo viene tradotto in un odore, una sensazione che può andare dal profumo più gradito al puzzo più nauseabondo.
I recettori olfattivi hanno la caratteristica di adattarsi rapidamente agli odori: dopo qualche tempo in un ambiente, infatti, non percepiamo più gli odori che abbiamo avvertito appena ne siamo venuti a contatto.
FISSA I CONTENUTI ESSENZIALI
Segna con una crocetta se vero (V) o falso (F).
1. Gli organi di senso rispondono agli stimoli esterni.
2. Ogni recettore gustativo è sensibile a uno solo dei sapori fondamentali.
3. La distribuzione dei recettori tattili è uguale in tutto il corpo.
4. Il sapore umami è quello dei dadi da brodo.
VERSO LE COMPETENZE
L’olfatto guida gli animali in molte occasioni, come la ricerca del partner e del cibo, o durante le migrazioni che spesso sono di migliaia di kilometri, come nel caso dei salmoni. Anche per noi l’olfatto ha una grandissima importanza, tanto che un profumo può evocare ricordi o sensazioni piacevoli o innescare meccanismi di difesa, come accade per i veleni. Descrivi un momento in cui ti sei trovato in questa situazione e cerca di spiegare che cosa ti ha suscitato la percezione di un particolare odore.
4 La mucosa olfattiva.
cervello nervo olfattivo
neuroni sensoriali
cavità nasale
profumo molecole odorose mucosa olfattiva
la vista lezione 2
LAB
STEM
CHE IMMAGINI VEDI?




Alcune persone non riescono a distinguere i colori, per esempio un’immagine rossa su sfondo verde: soffrono di daltonismo, una malattia di origine genetica responsabile dell’incapacità di distinguere i colori (del tutto o solo in parte), oppure che dà una percezione di essi diversa da quella di chi vede correttamente. Per capire se una persona è daltonica la si sottopone a un esame cromatico del riconoscimento dei colori. Prova anche tu!
■ REALIZZA L’ESPERIMENTO
PROCEDIMENTO
Dopo aver diviso la classe in gruppi, sottoponi ai tuoi compagni l’esame di questa immagine e raccogli le risposte di ciascuno alle domande.
■ OSSERVA E RISPONDI
1. Che cosa riesci a vedere?
2. Come è costruito lo sfondo dell’immagine? Perché?
3. Quali tipi di recettori permettono la visione?
4. Scrivi la relazione dell’esperimento.
1
L’occhio
L’occhio è un organo sensibile agli stimoli luminosi: gli oggetti colpiti dalla luce riflettono parte della radiazione luminosa, che viene catturata dai fotorecettori dell’occhio e trasformata in stimoli elettrici che sono inviati al cervello. È il cervello, quindi, che “vede” gli oggetti e li riconosce. Il fenomeno non può avvenire in assenza di luce, quando non ci sono sorgenti luminose, anche se alcuni mammiferi, come i gatti, hanno una notevole capacità visiva al buio.
Gli occhi, posti in due cavità ai lati del naso chiamate orbite, sono la sede del senso della vista
L’occhio è un organo di forma sferica e per questo viene anche chiamato globo o bulbo oculare. Noi possiamo vederne solo una piccola parte perché la porzione maggiore è racchiusa e protetta nella cavità orbitale del cranio. Diversi organi accessori , come le palpebre, le ghiandole lacrimali , le ciglia e le sopracciglia , forniscono ulteriore protezione 1
Le sopracciglia, disposte ad arco sopra l’orbita, sono formate da peli che trattengono il sudore della fronte e gli impediscono di penetrare negli occhi, irritandoli.
Le ciglia ornano le palpebre e hanno la funzione di filtrare la luce e di proteggere gli occhi dalla polvere.

2 La struttura interna dell’occhio
Le ghiandole lacrimali producono il liquido lacrimale che viene distribuito uniformemente dai battiti delle palpebre.
Le palpebre sono due sottili pieghe della pelle rivestite internamente da una membrana, la congiuntiva. Riparano l’occhio dalla luce troppo intensa e asportano la polvere.
Il globo oculare è costituito da tre membrane: la sclerotica, la coroide e la retina 2 La sclerotica è una membrana bianco-opaca alla quale sono collegati i muscoli che permettono di muovere l’occhio con rapidità e precisione. L’interno della sclerotica è rivestito da un tessuto ricco di vasi sanguigni, la coroide
Nella parte anteriore dell’occhio la sclerotica diventa sottile e trasparente e prende il nome di cornea . Sotto la cornea, la coroide forma un piccolo disco colorato, l’ iride , al centro della quale si trova la pupilla , un foro nero attraverso cui i raggi luminosi penetrano nell’occhio. L’iride contiene dei muscoli lisci circolari: in presenza di luce intensa si contraggono e la pupilla si restringe; al contrario, quando c’è poca luce si rilassano e la pupilla si dilata. Dietro l’iride e la pupilla si trova il cristallino , un corpo trasparente ed elastico a forma di lente biconvessa, legato alla coroide dai muscoli ciliari . Il cristallino e la cornea sono separati da un liquido trasparente, incolore e molto fluido, chiamato umor acqueo Dietro il cristallino, la cavità interna del bulbo oculare è riempita da una sostanza trasparente e gelatinosa, l’ umor vitreo
Cornea, umor acqueo, cristallino e umor vitreo costituiscono il sistema ottico dell’occhio, che funziona come una lente convergente: proietta sul fondo dell’occhio immagini molto nitide, ma rimpicciolite e capovolte rispetto agli oggetti reali. Sarà poi il cervello a ricomporre l’immagine in modo corretto. Il cristallino può modificare la propria curvatura grazie ai mu -
palpebra
sclerotica
iride
cornea
cristallino
muscolo ciliare
umor acqueo
2 La struttura del bulbo oculare.
vasi sanguigni
umor vitreo
pupilla
nervo ottico
fovea
retina
coroide
muscolo
3 L’accomodamento dell’occhio.
scoli ciliari e, di conseguenza, può cambiare il suo potere convergente. Grazie a questo processo, detto accomodamento, le immagini di oggetti disposti a distanze diverse risultano sempre a fuoco 3 .
cristallino appiattito
muscoli ciliari contratti retina
Se l’oggetto è lontano, i muscoli ciliari
si rilassano
e il cristallino diventa più sottile.
muscoli ciliari rilassati
3
La retina
4 Il percorso dell’impulso elettrico dai recettori visivi al nervo ottico.
Se l’oggetto è vicino, i muscoli ciliari
si contraggono e il cristallino diventa più spesso.
cristallino sferico
retina
muscoli ciliari contratti
cristallino appiattito
retina
Nella parte posteriore dell’occhio, sulla superficie più interna del bulbo oculare e a stretto contatto con la coroide, si trova la terza membrana, la retina. È formata da vari strati di cellule, tra le quali i recettori visivi, cioè i coni e i bastoncelli. Sulla retina sono presenti circa 7 milioni di coni e 120 milioni di bastoncelli.
muscoli ciliari rilassati
I coni sono sensibili ai colori e funzionano solo quando la luce è molto intensa. I bastoncelli sono predisposti per la visione in bianco e nero: percepiscono la forma e i contorni degli oggetti, ma non i colori; sono molto sensibili alla luce perciò sono attivi anche con la debole luce crepuscolare o notturna. Nell’area centrale della retina, chiamata fovea, i coni e i bastoncelli sono molto numerosi e consentono la visione dettagliata degli oggetti.
fibre nervose
cellule gangliari
neurone
bastoncelli coni retina epitelio pigmentato retinico coroide
Ma i sensi sono proprio cinque?
La luce che colpisce i coni e i bastoncelli provoca un cambiamento della composizione chimica dei pigmenti che contengono; questo genera un impulso elettrico, che viene trasmesso al cervello per mezzo del nervo ottico 4 Il punto in cui il nervo ottico esce dal bulbo oculare per raggiungere la corteccia cerebrale è privo di recettori visivi; di conseguenza non percepiamo le immagini che cadono in quel punto, che per questa ragione è chiamato punto cieco.
Dire che i sensi sono cinque è un modo efficace per descrivere i sensi e gli organi dove hanno sede, ma nella nostra esperienza quotidiana ci accorgiamo di percepire contemporaneamente moltissime sensazioni diverse. La propriocezione, per esempio, ci permette di conoscere la posizione del nostro corpo e degli arti nello spazio; la termocezione serve a percepire il caldo e il freddo e la nocicezione il dolore; l’interocezione è la percezione degli stimoli interni del corpo, come fame, sete e battito cardiaco; l’equilibriocezione è il senso dell’equilibrio, controllato dall’orecchio interno. Un sistema di ricezione degli stimoli così esteso diventa un vantaggio quando uno degli organi di senso non funziona.
4 Il meccanismo della visione
I raggi luminosi, dopo aver attraversato la cornea, l’umor acqueo, il cristallino e l’umor vitreo, vengono proiettati sulla retina in un’immagine reale, capovolta e rimpicciolita 5 .
I coni e i bastoncelli, stimolati dalla luce, inviano un impulso al nervo ottico, che a sua volta lo trasmette alla corteccia visiva degli emisferi cerebrali. Qui l’immagine viene interpretata, rielaborata, capovolta e confrontata con altre immagini presenti nella memoria, permettendoci immediatamente di riconoscere l’oggetto “inquadrato” dai nostri occhi. I due occhi sono collocati in posizione frontale rispetto al capo, quindi ognuno di essi ha il proprio campo visivo. Per questa ragione inviano al cervello immagini non identiche. Quando raggiungono il cervello, le immagini vengono sovrapposte, consentendoci di vedere l’oggetto in tre dimensioni. Questo tipo di visione è chiamata stereoscopica o binoculare
oggetto reale
occhio
corteccia visiva cervello
nervo ottico
immagine capovolta e rimpicciolita
5 Come si formano le immagini.

FISSA I CONTENUTI ESSENZIALI
Sottolinea il termine corretto tra i due proposti.
1. I coni e i bastoncelli si trovano sulla pupilla/retina
2. La cornea è una parte della coroide/sclerotica.
3. Il nervo ottico è un nervo cranico/spinale.
4. Il punto di uscita del nervo ottico è il fuoco/punto cieco.
VERSO LE COMPETENZE
Esegui l’esperimento.
Materiali
• una lente di ingrandimento • un foglio A4 bianco • un metro
Esecuzione
1. Crea una penombra nell’aula lasciando aperte solo le imposte di una finestra.
2. Posizionati, con la lente in mano, in modo che essa si trovi perfettamente parallela alla finestra da cui entra la luce e alla distanza di 1,5 m.
3. Con l’aiuto di un compagno posiziona il foglio dalla parte opposta della lente e fallo avvicinare o allontanare finché sul foglio appare l’immagine visibile dalla finestra. Osserva e rispondi.
1. Com’è l’immagine che si è formata sul foglio?
2. Quale strumento ottico del nostro occhio funziona come la lente?
3. Esistono degli strumenti con sistemi ottici analoghi al cristallino?
I difetti della vista
L ’ udito e l ’ equilibrio lezione
LAB STEM
UN SUONO DIVERSO? NO
Il suono è prodotto dalla vibrazione di un mezzo elastico, come la corda di una chitarra o la pelle di un tamburo, ma noi lo udiamo in modo diverso in relazione al mezzo in cui si propaga. Verifichiamolo con questo esperimento.
■ REALIZZA L’ESPERIMENTO
MATERIALI
• sassi
• vaschetta con acqua
• asticella di ferro
• registratore (puoi usare quello del cellulare)




PROCEDIMENTO
1. Chiedi a un compagno di prendere due sassi e batterli uno contro l’altro, ascolta e contemporaneamente registra il suono prodotto.
2. Chiedi di ripetere l’operazione mantenendo i due sassi immersi nell’acqua e registra il suono prodotto.
3. Immergi ora una estremità dell’asticella di ferro nell’acqua e avvicina l’altra estremità all’orecchio e al registratore. Chiedi a un compagno di battere i sassi mantenendoli completamente immersi.
■ OSSERVA E RISPONDI
1. In quale delle tre situazioni hai sentito il suono più chiaramente?
2. Quale tipo di materiale ti restituisce un suono più forte?
3. Sai spiegare perché i tappi per le orecchie attutiscono i suoni?
4. Scrivi la relazione dell’esperimento.
L’orecchio

Il senso dell’udito ha sede nell’orecchio, l’organo che ci permette di raccogliere ed elaborare le vibrazioni prodotte da suoni e rumori.
Nell’orecchio è possibile distinguere tre parti: l’orecchio esterno, l’orecchio medio e l’orecchio interno 1
• L’orecchio esterno è formato dal padiglione auricolare, una struttura in cartilagine che raccoglie le onde sonore; dal condotto uditivo, un canale cilindrico che entra nel cranio e conduce all’interno dell’orecchio le vibrazioni dell’aria; dal timpano, una membrana che chiude il fondo del condotto uditivo. Il timpano è simile alla pelle tesa di un tamburo, che oscilla quando viene raggiunta dalle vibrazioni. Le pareti del condotto uditivo producono il cerume, una sostanza grassa che mantiene morbida ed elastica la membrana del timpano.
ORECCHIO ESTERNO
padiglione auricolare
ORECCHIO MEDIO
condotto uditivo
• L’orecchio medio occupa la cassa timpanica, una piccola cavità delle ossa del cranio che comunica con la faringe mediante un canale chiamato tromba di Eustachio. Nella cassa timpanica si trova una catena di tre ossicini, i più piccoli dell’organismo, che trasmettono le vibrazioni del timpano, amplificandone l’intensità: sono il martello, l’incudine e la staffa. Il martello, che appoggia sul timpano, entra in vibrazione e trasmette le oscillazioni all’incudine; questa, a sua volta, le trasmette alla staffa, che appoggia su una membrana che chiude la finestra ovale, un’apertura che separa l’orecchio medio dall’orecchio interno.
Di solito le pareti della tromba di Eustachio aderiscono l’una all’altra e chiudono il canale, ma quando deglutiamo si allontanano in modo che l’aria possa attraversarlo: in questo modo la pressione dell’aria viene bilanciata da entrambe le parti della membrana del timpano. Quando la pressione esterna cambia rapidamente senza che quella all’interno della cassa timpanica abbia il tempo di modificarsi, abbiamo la sensazione di avere le “orecchie tappate”. Basta però deglutire un paio di volte, e l’apertura della tromba di Eustachio ristabilisce l’equilibrio interno della pressione.
• L’orecchio interno è formato da due vescicole, il sacculo e l’utricolo, piene di un liquido chiamato endolinfa. Dal sacculo si origina la chiocciola (o coclea), così chiamata per la sua forma di canale avvolto a spirale.
ORECCHIO INTERNO
canali semicircolari
fibre nervose
finestra ovale
chiocciola (coclea)
tromba di Eustachio
Perché soffro di mal d’auto?
Il termine medico che indica questo disturbo, che si manifesta quando muoviamo ripetutamente la testa o ci spostiamo in auto, in nave o in aereo, è cinecitosi. Si tratta di una reazione del corpo dovuta a un conflitto tra i segnali che il cervello riceve dai sensi: gli occhi, che vedono l’interno del veicolo fermo, suggeriscono che siamo immobili, mentre l’orecchio interno, che controlla l’equilibrio percepisce il movimento del veicolo, suggerendo che siamo in movimento. Questo contrasto di segnali confonde il cervello, che reagisce con sintomi come nausea, vertigini, pallore e sudorazione.

timpano
martello
incudine
staffa
2
Sezione della chiocciola con l’organo del Corti.
L’organo uditivo vero e proprio, l’organo del Corti, si trova proprio nella chiocciola: è costituito da più di 25 000 recettori uditivi, cellule sensoriali munite di ciglia, i cui prolungamenti formano il nervo acustico, che collega l’orecchio con il cervello. I recettori uditivi sono sovrastati dalla membrana tectoria 2

2 Come funziona l’orecchio


nervo acustico
organo del corti recettori udidivi parete della chiocciola
Quando un’onda sonora giunge all’orecchio, percorre il condotto uditivo e, giunta al timpano, fa vibrare la membrana 3 . Il timpano si rigonfia avanti e indietro con la medesima frequenza delle onde sonore che lo colpiscono, trasmettendo le vibrazioni ai tre ossicini e alla finestra ovale. Le vibrazioni della finestra ovale si trasmettono all’endolinfa contenuta nella chiocciola e alla membrana tectoria. Muovendosi, la membrana tectoria stimola le ciglia dei recettori uditivi, che generano impulsi elettrici. Il nervo acustico trasporta gli impulsi elettrici al cervello: è a questo punto che noi riceviamo una sensazione sonora. Le cellule sensoriali dell’orecchio non sono tutte uguali, perché hanno ciglia di lunghezze diverse che percepiscono suoni differenti. Alcune sono stimolate dai suoni acuti, cioè da vibrazioni rapide, altre dai suoni gravi, cioè da vibrazioni lente. In questo modo l’orecchio riesce a distinguere un suono dall’altro.



Le onde sonore, prodotte dalla vibrazione di un corpo, arrivano al padiglione auricolare.


Percorrono il condotto uditivo e mettono in vibrazione il timpano.



Le vibrazioni passano ai tre ossicini e alla chiocciola; raggiungono l’organo del Corti, dove sono trasformate in impulsi elettrici. Il nervo acustico trasporta gli impulsi elettrici all’area uditiva del cervello, dove sono elaborati e percepiti come suoni.


3 Il senso dell’equilibrio
L’organo dell’equilibrio informa continuamente il cervello sulla posizione del nostro corpo nello spazio. Ha sede nell’orecchio interno, più precisamente nelle vescicole che contengono l’endolinfa e in tre canali semicircolari orientati secondo le tre dimensioni dello spazio 4
Ognuno dei canali semicircolari termina con un’ampolla contenente delle cellule sensoriali ciliate; queste sono immerse in uno strato gelatinoso contenente minuscoli cristalli di carbonato di calcio, gli otoliti
Quando muoviamo la testa, l’endolinfa dei canali semicircolari si sposta e provoca il movimento degli otoliti, che urtano le ciglia delle cellule sensoriali. Queste, a loro volta, trasformano lo stimolo meccanico in impulso nervoso che, attraverso le fibre del nervo vestibolare, raggiungono il cervelletto, la parte di encefalo adibita al controllo dell’equilibrio.
utricolo coclea canali semicircolari

Equilibrio e coordinazione
nervo vestibolare
cellule ciliari
endolinfa otoliti
cellule di sostegno
nervo vestibolare
sacculo
4 L’organo dell’equilibrio.
Le ciglia, mosse dagli otiliti si muovono nella direzione dello spostamento.
FISSA I CONTENUTI ESSENZIALI
Segna con una crocetta se vero (V) o falso (F).
1. Il padiglione auricolare contiene un liquido che trasmette i suoni.
2. I canali semicircolari sono organi dell’equilibrio.
3. Il timpano separa l’orecchio esterno dall’orecchio medio.
4. Martello, incudine e staffa sono dei nervi.
VERSO LE COMPETENZE
Scendendo da una giostra che ruota o dopo aver girato su noi stessi non riusciamo a camminare dritti. Conoscendo la struttura e le funzioni dell’orecchio interno descrivi che cosa succede al nostro equilibrio.
DIREZIONE DI SPOSTAMENTO
CON LA SINTESI
lezione 1 IL TATTO, IL GUSTO E L’OLFATTO
Gli stimoli che arrivano dall’ambiente esterno sono recepiti dal sistema nervoso centrale per mezzo di cellule specializzate, i recettori, che possono costituire veri organi di senso, come l’orecchio e l’occhio, o essere distribuiti in altri organi del corpo come quelli dei muscoli e dei tendini responsabili della propriocezione, cioè dei movimenti e della posizione del nostro corpo nello spazio.
A seconda del tipo di stimolo cui sono sensibili, i recettori si distinguono in chemiorecettori, sensibili alle sostanze chimiche, fotorecettori, sensibili alla luce, termorecettori, sensibili alla temperatura e meccanorecettori, sensibili alla pressione e al dolore. Il senso del tatto ha sede nel derma, dove recettori specializzati registrano il contatto, la pressione, il caldo, il freddo e tutte le informazioni riguardo a ciò con cui veniamo a contatto. Il gusto e l’olfatto sono sensi che lavorano in stretta relazione tra loro e che dipendono dai chemiorecettori
I chemiorecettori del gusto sono situati in particolari strutture della lingua, le papille gustative, che rilevano i 5 sapori fondamentali: dolce, salato, acido, amaro e umami.
I chemiorecettori dell’olfatto sono concentrati nella mucosa nasale e sono stimolati da sostanze volatili che si sciolgono nel muco.
lezione 2 LA VISTA
L’occhio è l’organo di senso della vista; è protetto da organi accessori (palpebre, ghiandole lacrimali, ciglia e sopracciglia) ed è formato dal bulbo oculare che è costituito da tre membrane sovrapposte: la sclerotica, la coroide e la retina.
La sclerotica è bianca e resistente; nella parte anteriore diventa trasparente e lascia entrare la luce nella cornea. La coroide sotto la cornea forma un piccolo disco colorato, l’iride, al centro del quale si trova un foro, la pupilla
L’interno del globo oculare contiene il cristallino, un corpo trasparente ed elastico a forma di lente biconvessa; un liquido trasparente, l’umor acqueo, separa la cornea dal cristallino, e l’umor vitreo, una sostanza gelatinosa che riempie il bulbo oculare. La retina è la membrana più interna ed è costituita dai recettori visivi, i coni e i bastoncelli. Il punto cieco è il punto della retina senza recettori perché da lì parte il nervo ottico.



La luce entra attraverso la pupilla e colpisce la retina; qui si forma un’immagine rimpicciolita e capovolta rispetto al reale.
I coni e i bastoncelli inviano un impulso al nervo ottico, che a sua volta lo trasmette alla corteccia visiva degli emisferi cerebrali e l’immagine viene interpretata, rielaborata, capovolta e confrontata con altre immagini presenti nella nostra memoria. La nostra visione è detta stereoscopica poiché ogni occhio ha il suo campo visivo; sarà poi il cervello a sovrapporre le immagini consentendo la visione tridimensionale dell’oggetto.
lezione 3 L’UDITO E L’EQUILIBRIO
L’orecchio è l’organo di senso dove hanno sede l’udito e l’equilibrio. È diviso in orecchio esterno, che raccoglie i suoni grazie al padiglione auricolare e al condotto uditivo; in orecchio medio, costituito da una catena di tre ossicini che trasmettono le vibrazioni del timpano; in orecchio interno, dove si concentrano i recettori uditivi che costituiscono l’organo del Corti e da cui parte il nervo acustico
La parte di orecchio interno formata dall’utricolo e dal sacculo, due vescicole che contengono l’endolinfa, e da tre canali semicircolari che contengono le cellule sensitive, forma l’organo dell’equilibrio. Quando muoviamo la testa, gli otoliti si spostano e urtano le cellule ciliate che trasformano lo stimolo meccanico in un impulso nervoso che, attraverso il nervo vestibolare, raggiunge il cervelletto, la parte di encefalo adibita al controllo dell’equilibrio.

CON LA MAPPA
Adesso che hai ripassato i contenuti essenziali con la sintesi, prova a completare la mappa con le parole chiave suggerite e a trovare le definizioni corrispondenti.
equilibrio - fotorecettori - lingua - occhio - orecchio - tatto
costituiscono
organi

che è sede della
vista
che è sede di
1. I RECETTORI
sono distribuiti in vari si distinguono in
permettono di percepire gli
12. chemiorecettori
13. meccanorecettori
udito 6. pelle
che è sede dell’ che è sede del
olfatto 10. termorecettori
che è sede del
a. Terminazioni nervose che raccolgono gli stimoli e li trasformano in impulsi elettrici.
b. Sono recettori sensibili alle variazioni di temperatura.
c. È ricoperto dalla mucosa olfattiva.
d. È l’organo di senso più esteso del corpo.
e. Recettori sensibili alla pressione e al dolore.
di senso
organi 2. stimoli 5. naso 7. gusto
16.

lezione 1 IL TATTO, IL GUSTO E L’OLFATTO
1 Completa le frasi con i termini corretti.
a. Gli stimoli vengono recepiti dal sistema nervoso per mezzo di speciali cellule nervose dette
b. A seconda degli stimoli a cui sono sensibili i recettori si distinguono in: meccanorecettori, sensibili alla pressione; , sensibili alle sostanze chimiche; termorecettori, sensibili alla temperatura; , sensibili alla luce.
c. Gli organi di senso, una volta ricevuti gli stimoli, li trasformano in , che sono inviati al cervello e restituiti sotto forma di immagini, odori, sapori, suoni.
2 Osserva il disegno e inserisci accanto a ogni termine il numero corrispondente.
a. Amaro
b. Dolce
c. Salato
d. Acido
e. Umami
3 Scegli la soluzione corretta.
a. I recettori che percepiscono le variazioni di pressione sono:
1 termorecettori.
2 fotorecettori.
3 meccanorecettori. 4 chemiorecettori.
b. Sentiamo gli odori perché:
1 i recettori olfattivi catturano le particelle volatili sospese nell’aria.
2 i recettori olfattivi catturano le particelle volatili sciolte nel muco.
3 il nervo olfattivo riconosce direttamente gli odori.
4 i recettori olfattivi hanno capacità di assuefazione.
c. La soglia del dolore è:
1 un limite uguale per tutti che determina quando sentiamo male.
2 lo stimolo percepito dai recettori del dolore.
3 il livello di dolore oltre il quale il cervello riceve un segnale di pericolo.
4 il limite minimo di percezione del dolore.
lezione 2 LA VISTA
4 Osserva il disegno e inserisci accanto a ogni termine il numero corrispondente.
a. Retina
b. Coroide
c. Sclerotica
d. Cristallino
e. Iride
f. Pupilla
g. Cornea
5 Abbina i termini con la definizione corretta.
1. Retina
2. Cristallino
3. Pupilla
4. Nervo ottico
a Regola la quantità di luce che entra nell’occhio.
b Collega la parte fotosensibile al sistema nervoso.
c Consente la messa a fuoco degli oggetti.
d Parte fotosensibile dell’occhio.
6
Completa le frasi con i termini corretti.
a. La retina contiene i visivi, coni e bastoncelli.
b. I sono sensibili ai colori e funzionano con la luce molto intensa.
c. I sono adatti alla visione in bianco e nero, percepiscono la forma degli oggetti e funzionano anche con la luce debole.
d. I recettori visivi creano un impulso elettrico che il , che parte dal porta fino al cervello.
7 Scegli la soluzione errata.
a. Gli occhi:
1 sono posti nelle orbite.
2 sono la sede del senso della vista.
3 sono dotati di fotorecettori.
4 sono rivestiti esternamente dalla cornea.
b. Il cristallino:
1 è un liquido trasparente prodotto dall’occhio.
2 può modificare la propria curvatura.
3 ha forma di lente biconvessa.
4 realizza il processo di accomodamento.
c. La fovea:
1 si trova nell’area centrale della retina.
2 è l’area più ricca di recettori visivi.
3 si trova nell’area centrale della cornea.
4 permette una visione dettagliata degli oggetti grazie ai coni e ai bastoncelli.
lezione 3 L’UDITO E L’EQUILIBRIO
8 Segna con una crocetta se vero (V) o falso (F).
a. La tromba di Eustachio fa parte dell’orecchio medio.
b. Il timpano fa parte dell’orecchio medio.
c. L’orecchio interno è anche la sede dell’equilibrio.
d. Il cerume serve per mantenere elastica la membrana timpanica.
9 Abbina i termini con la definizione corretta.
1. Endolinfa
2. Martello
3. Condotto uditivo
4. Otoliti
a Convoglia i suoni verso il timpano.
b Cristalli di carbonato di calcio contenuti nei canali semicircolari.
c Liquido contenuto nell’orecchio interno. d È uno degli ossicini dell’orecchio medio.
1. 2. 3. 4.
10 Osserva il disegno e inserisci accanto a ogni termine il numero corrispondente.
a. Canali semicircolari
b. Condotto uditivo
c. Chiocciola
d. Padiglione auricolare
e. Fibre nervose
f. Timpano
11 Scegli la soluzione corretta.
a. La cassa timpanica:
1 fa parte dell’orecchio esterno.
2 fa parte dell’orecchio interno.
3 contiene l’orecchio medio.
4 è una parte del padiglione auricolare.
b. L’organo del Corti:
1 si trova all’interno della coclea.
2 è privo di recettori uditivi.
3 ha sede nell’orecchio esterno.
4 comunica con la faringe.
RIFLETTERE E COMUNICARE
1 Analizza l’immagine, scrivi di che tessuto si tratta e rispondi.

Spiega la differenza tra i corpuscoli di Meissner e le cellule di Merkel.
APPLICARE CONOSCENZE
2 Rispondi alle domande.
a. Che cos’è la soglia del dolore?
b. Quali sono i più importanti recettori presenti nel derma?
c. Quali tipi di papille gustative ci sono sulla lingua?
d. Come sono fatti i recettori olfattivi?
VERSO L’ESAME: INTERPRETARE MODELLI E SPIEGARE
3 Osserva l’immagine e rispondi.

oggetto reale
oggetto reale
a. Quale fenomeno è rappresentato?


b. Spiega che cosa avviene in ogni tappa del processo.
4 Osserva l’immagine e rispondi.
canali semicircolari
chiocciola utricolo
a. Quale struttura è rappresentata nell’immagine?

ciglia sacculo
b. Come si chiama il liquido contenuto al suo interno?
c. Da dove si origina la chiocciola e che funzioni svolge?
endolinfa

cellula di sostegno

ELABORARE INFORMAZIONI DA UN TESTO
Leggi il brano.
UN TIPO DI ALFABETO
otoliti
cellula sensoriale ciliata
ner vo vestibolare
d. Da dove si originano i canali semicircolari e qual è la loro funzione.
ANALIZZARE FENOMENI
5 Osserva le immagini e rispondi alle domande.
L’alfabeto Braille è uno strumento per la lettura, essenziale per le persone non vedenti. Prende il nome dal suo inventore, Louis Braille, nato in Francia nel 1809. Diventato cieco da bambino, inventò un alfabeto tattile basato su 6 puntini, del diametro di 2-3 millimetri, disposti in 2 colonne e 3 file all’interno di un rettangolo, la matrice, corrispondente all’area del dito indice della mano. La disposizione dei puntini permette di distinguere una lettera dall’altra, per un totale di 64 combinazioni diverse, attraverso le quali è possibile leggere e scrivere, fare operazioni di matematica, comporre brani musicali e altro ancora. Una persona non vedente che legge in Braille sviluppa una straordinaria sensibilità agli stimoli che coinvolgono il tatto. Un gruppo di ricercatori statunitensi e canadesi si è chiesto se i non vedenti, tramite la pratica del Braille, sviluppassero una sensibilità tattile superiore e, grazie alle loro sperimentazioni, l’ipotesi è stata confermata: mentre le persone senza problemi visivi non riuscivano a distinguere segnali molto vicini, questo era agevole per i non vedenti. L’alfabeto Braille è diffuso in tutti i Paesi del mondo, adattato a quasi tutte le lingue conosciute.


Le immagini mostrano un occhio fotografato in due condizioni di luminosità diverse.
a. Come si chiama il disco nero al centro dell’occhio? A che cosa serve?
b. Con quale meccanismo il disco nero si restringe e si dilata?
c. Quale immagine è stata ripresa in condizioni di scarsa luminosità?
Rispondi alle domande e svolgi le attività proposte da solo o in gruppo con i tuoi compagni.
a. Su che cosa si basa l’alfabeto Braille?
b. Quale senso permette ai non vedenti di leggere un testo in Braille?
c. Quali sono stati i risultati dei ricercatori americani?
d. Secondo te, il cervello e i sensi sono collegati in maniera rigida e immutabile oppure flessibile e capace di adattamenti?
DIGITAL SKILLS
Ricerca su siti specializzati le informazioni sul codice Braille e riproduci le lettere dell’alfabeto utilizzando un cartoncino piuttosto spesso e un punteruolo. Insieme ai compagni, prova a riconoscere a occhi chiusi le lettere toccandole con l’indice.



BORN TO HEAR
Hearing is the process by which the ear transforms sound vibrations into nerve impulses that are sent to the brain, where they are interpreted as sounds. In order for a sound to be transmitted to the central nervous system, the energy of the sound undergoes three transformations. First, the air vibrations change into vibrations in the tympanic membrane and ossicles of the middle ear. Then these become vibrations in the fluid inside the cochlea. Finally, the fluid vibrations create travelling waves that stimulate the hair cells in the organ of Corti. These cells convert the sound vibrations into nerve impulses which are transmitted to the brain. Our ears do not perceive the sounds that surround us continuously, but in a series of stop-and-go waves, with a special rhythm. Without realising it, sounds reach our brain interspersed with empty spaces. Research shows that babies are able to perceive sounds before birth, and newborn children recognise their mother tongue. One experiment shows that English babies suck more vigorously in response to English than to Italian, while bilinguals respond to both parents’ languages.
COMPREHENSION EXERCISES
Fill in the gaps with the following words.
ear ● hair cells ● tympanic
a. The transforms sound vibrations into nerve impulses.
b. Air vibrations are converted into vibrations in the membrane.
c. The in the organ of Corti convert the sound vibrations into nerve impulses.



HAIR CELLS cellule ciliate
WAVES onde
SUCK succhiare, ciucciare
lossario
si riproduce L’organismo unità
lezione 1
LA RIPRODUZIONE UMANA
lezione 2
L’aPPARATO RIPRODUTTORE MASCHILE
lezione 3
L’aPPARATO RIPRODUTTORE FEMMINILE
lezione 4
DALLA FECONDAZIONE ALLA NASCITA

LEZIONI POWERPOINT in


BUONE NOTIZIE PER IL FUTURO
Un approccio integrato alla sessualitA `
La sessualità è una componente fondamentale della vita di ogni persona, ed è importante che, fin dall’adolescenza, la famiglia e la scuola forniscano informazioni chiare e corrette di educazione sessuale. Oggi, tuttavia, abbiamo fatto ulteriori passi in avanti perché abbiamo compreso che la sessualità deve inserirsi nel campo più . Studi recenti hanno dimostrato come la sfera emozionale e quella affettiva rivestano una notevole importanza nello sviluppo dell’individuo, soprattutto durante la preadolescenza e l’adolescenza. buona educazione affettiva oltre a quella sessuale, aiuta ragazzi e ragazze ad acquisire conoscenza e consapevolezza delle proprie emozioni e di quelle degli altri, a valorizzare le proprie risorse nella gestione della comunicazione interpersonale e a costruire rapporti soddisfacenti con i compagni e con gli adulti. Il gruppo dei pari, principale ambiente di crescita negli anni dell’adolescenza, può spingere qualcuno a rifiutare di crescere per timore di affrontare le difficoltà della vita, per fragilità interiore, per insoddisfazione del proprio corpo: è in quei momenti che non bisogna vergognarsi e chiedere aiuto agli adulti, genitori, insegnanti, formatori. L’approccio integrato dell’educazione sessuale e di quella affettiva sviluppa la capacità di compiere scelte adeguate e di essere protagonisti della propria vita, consentendo a ciascuno di realizzarsi pienamente come persona.
La riproduzione umana lezione 1
CARTA PENNA COMPUTER

Guarda il video e scrivi le risposte sul quaderno.
1. Perché uova e spermatozoi sono diversi da tutte le altre cellule dell’organismo?
2. In quali organi dell’apparato riproduttore maschile e femminile si formano i gameti?
3. Qual è il risultato della meiosi?
Quanti siamo al mondo?
Se sei impaziente di avere una risposta in tempo reale digita http://www.worldometers/it e accedi al sito: qui è possibile sapere all’istante quanti bambini sono nati oggi, quanti abitanti ha attualmente la Terra, quali sono i paesi più popolati, in quali continenti è concentrata la popolazione e quanti saremo in un prossimo futuro.

Metti in pausa il video nei seguenti punti.


4. Attribuisci a ogni immagine il titolo con la fase della meiosi corrispondente e scrivi per ciascuna una breve didascalia.
1 I gameti
Nella specie umana, come in tutti i vertebrati, la riproduzione è sessuata , cioè avviene attraverso l’accoppiamento di due individui di sesso diverso. La prima tappa del percorso che porta alla nascita di un bambino è l’unione di due cellule particolari, i gameti: la cellula uovo, o ovulo, prodotta dagli organi riproduttori femminili, e lo spermatozoo, prodotto dagli organi riproduttori maschili.
La cellula uovo è il gamete femminile, lo spermatozoo è il gamete maschile
Il processo di fusione dei due gameti prende il nome di fecondazione e dà origine a un’unica cellula, lo zigote, da cui si svilupperà un nuovo individuo. I gameti sono molto diversi tra loro.
• Lo spermatozoo è una cellula molto piccola, con una forma adatta a muoversi in un mezzo liquido. È formato da una testa, un collo e una coda 1
• La cellula uovo ha forma sferica ed è una delle cellule più voluminose dell’organismo umano. La cellula uovo è racchiusa in un rivestimento proteico; contiene il nucleo e un citoplasma ricco di materiali di riserva 2 .
La meiosi
ORA FERMA L’IMMAGINE!
1 Lo spermatozoo.
La testa
Nella testa sono presenti il nucleo e una vescicola, l’acrosoma, contenente degli enzimi capaci di sciogliere il rivestimento proteico della cellula uovo.
Il collo
Nel collo, di forma cilindrica, sono presenti molti mitocondri che forniscono l’energia necessaria per il movimento di avanzamento dello spermatozoo.
testa
2 Il numero dei cromosomi nelle cellule somatiche e nei gameti
Nel nucleo delle cellule sono contenuti i cromosomi , corpuscoli ben visibili al microscopio, costituiti da DNA . Nella molecola del DNA è contenuto il patrimonio genetico caratteristico di ogni individuo.
Il numero di cromosomi è fisso e costante per ogni specie. All’interno del nucleo delle cellule sono presenti due esemplari di ogni cromosoma, uno proveniente dalla madre e l’altro dal padre: i due cromosomi di ciascuna coppia, simili tra loro ma non identici, sono chiamati cromosomi omologhi
Le cellule che costituiscono i tessuti del corpo (cellule somatiche) contengono 23 coppie di cromosomi omologhi, dunque 46 cromosomi.
I gameti invece contengono un solo cromosoma per ogni coppia, dunque 23 cromosomi.
Le cellule somatiche hanno un corredo doppio di cromosomi e sono chiamate diploidi. I gameti hanno un corredo singolo di cromosomi e sono chiamati aploidi
La fusione di una cellula uovo con lo spermatozoo ripristina il numero di cromosomi della specie, cioè 46 3 .
A partire dallo zigote, la cellula prodotta dalla fecondazione, il numero di cellule aumenta progressivamente.
Lo zigote si divide per mitosi formando le cellule somatiche del nuovo individuo, tutte dotate di 46 cromosomi, metà di origine paterna e metà di origine materna.
La coda I movimenti della coda permettono allo spermatozoo di muoversi fino a raggiungere l’ovulo.
2 La cellula uovo.
nucleo citoplasma rivestimento proteico
3 Lo zigote è una cellula diploide.
cellula uovo (aploide)
zigote (diploide) cromosoma omologo materno cromosoma omologo paterno spermatozoo (aploide)
4 Le fasi della meiosi.
3 La meiosi
I gameti si formano a partire da cellule diploidi all’interno degli organi sessuali, maschile e femminile, di un individuo adulto. Il processo attraverso il quale avvengono il dimezzamento del corredo cromosomico e la formazione di gameti aploidi si chiama meiosi
La meiosi è il processo con il quale un organismo, partendo da cellule diploidi, produce cellule sessuali aploidi attraverso due successive divisioni cellulari.
Meiosi I
Durante la profase I, l’involucro nucleare si dissolve e si forma il fuso. I cromosomi omologhi si appaiano formando le tetradi e possono scambiarsi frammenti di DNA (crossing over). Durante la metafase I le tetradi si allineano sul piano equatoriale del fuso. Durante l’anafase I i cromosomi omologhi si separano e migrano ai poli opposti del fuso. Alla fine della meiosi I ogni cellula figlia riceve uno solo dei due cromosomi di ogni coppia: o quello di origine materna o quello di origine paterna. Le due cellule figlie sono aploidi.
INTERFASE
formazione di quattro cellule figlie aploidi
fuso tetrade
piano equatoriale i cromosomi omologhi si separano i cromatidi fratelli si separano
solco di divisione
Meiosi II
Si svolge come una normale mitosi. Al termine del processo si formano quattro cellule figlie aploidi, ognuna diversa dalle altre: sono i gameti.
I
profase I
metafase I
metafase II
anafase I
anafase II
telofase I + citodieresi
telofase II + citodieresi
Da una cellula inizialmente diploide, cioè con 46 cromosomi, hanno origine 4 cellule aploidi, cioè con 23 cromosomi ciascuna. Nel maschio le 4 cellule figlie aploidi maturano trasformandosi in spermatozoi; nella femmina solo una delle 4 diventa la cellula uovo, mentre le altre 3 degenerano.
Come abbiamo già visto per la mitosi, anche la meiosi è preceduta dalla duplicazione dei cromosomi. Essi appaiono formati da due filamenti disposti l’uno accanto all’altro, i cromatidi fratelli. Il processo prosegue con due successive divisioni della cellula: la meiosi I e la meiosi II 4
Durante la profase della meiosi I i cromosomi omologhi si appaiano e si avvicinano l’uno all’altro formando una tetrade. In questa fase può avvenire un fenomeno chiamato crossing over, che consiste in uno scambio di frammenti di DNA (i geni) tra cromosomi omologhi 5 . Il crossing over può avvenire in un punto qualsiasi del cromosoma e porta a nuove combinazioni di geni, aumentando la variabilità genetica della prole.
cromosomi omologhi tetrade
5 Il crossing over.
FISSA I CONTENUTI
ESSENZIALI
Segna con una crocetta se vero (V) o falso (F).
1. Il processo di formazione dei gameti si chiama mitosi.
2. I gameti sono cellule aploidi.
3. I gameti umani contengono 23 coppie di cromosomi omologhi.
4. Il crossing over è lo scambio di geni tra cromosomi omologhi.
Rispondi alle domande.
1. Quali cellule del corpo umano sono aploidi?
2. Quali cellule sono diploidi?
3. Quanti sono i cromosomi della specie umana?
4. Qual è lo scopo della meiosi?
5. Che cos’è il crossing over?
VERSO LE COMPETENZE
La riproduzione delle cellule somatiche che formano i tessuti del corpo è asessuata e avviene per mitosi; invece, le cellule riproduttive, cellula uovo e spermatozoi, si duplicano per meiosi.
Ripassa le fasi del processo di mitosi illustrate nell’unità La cellula, del volume B (o del volume 1) e rispondi alle domande.
1. Quali sono le caratteristiche delle cellule che si formano alla fine della mitosi?
2. In quale fase della meiosi avviene lo scambio di frammenti di DNA di cromosomi omologhi?
3. In quale fase sia della mitosi sia della meiosi i cromatidi si separano e migrano ai poli opposti della cellula?
L’apparato riproduttore maschile lezione 2
CARTA PENNA COMPUTER

L’incontro di uno spermatozoo e di una cellula uovo
Guarda il video e scrivi le risposte sul quaderno.
1. Qual è la condizione necessaria per la formazione di un nuovo individuo?
2. Da che cosa viene ostacolata la risalita degli spermatozoi nella vagina?
3. Che cosa fanno gli spermatozoi quando raggiungono l’ovulo?
4. Che cosa succede dopo la fecondazione?
1
Gli organi esterni
ORA FERMA L’IMMAGINE!
Metti in pausa il video nel seguente punto.
5. Descrivi con le tue parole la fase della fecondazione rappresentata nell’immagine.

Gli apparati riproduttori, maschile e femminile, sono formati da organi specializzati per la riproduzione.
L’apparato riproduttore maschile ha la funzione di produrre i gameti maschili, gli spermatozoi, e di fare in modo che essi raggiungano l’apparato riproduttore femminile.
Gli organi che lo costituiscono sono in parte all’esterno del corpo e in parte all’interno. Gli organi sessuali visibili esternamente sono lo scroto, un “sacchetto” cutaneo che avvolge i testicoli, e il pene 1
Nei testicoli si trova una fitta rete di tubuli ripiegati, i tubuli seminiferi , nei quali avviene la produzione degli spermatozoi. I testicoli producono anche gli ormoni sessuali maschili, che determinano la comparsa dei caratteri sessuali secondari maschili. Il pene è l’organo che ha la funzione di deporre gli spermatozoi all’interno dell’apparato riproduttore femminile. Sull’estremità anteriore del pene, detta glande, sbocca l’ uretra , l’ultima parte dell’apparato escretore che, nell’uomo, è in comune con quella dell’apparato riproduttore. Il pene è formato da strati di tessuto spugnoso che avvolgono l’uretra. Per azione dello stimolo sessuale, il sangue affluisce nel tessuto spugnoso e provoca l’ingrossamento e l’allungamento del pene, determinando il fenomeno dell’erezione . In questo modo il pene può penetrare nella vagina, il primo tratto dell’apparato riproduttore femminile e, durante l’eiaculazione, può immettere gli spermatozoi nel corpo femminile.
vescica urinaria
dotto deferente


uretere
vescicola seminale
1 Gli organi dell’apparato riproduttore maschile.
retto ano prostata
uretra pene glande

scroto testicolo
epididimo
I tubuli seminiferi sono racchiusi da una sottile membrana di rivestimento 2 . Al loro interno si trovano moltissimi spermatociti, le cellule da cui si origineranno gli spermatozoiw. Una volta formati, gli spermatozoi si spostano verso il lume del tubulo; da qui entrano nell’epididimo, un sottile condotto fortemente ripiegato, appoggiato sopra ciascun testicolo. In questa fase gli spermatozoi sono ancora incompleti: non sono in grado di muoversi e neppure di fecondare la cellula uovo.
2 Disegno schematico del testicolo e immagine al microscopio dei tubuli seminiferi.
testicolo
epididimo
dotto deferente
tubulo seminifero

4 Spermatozoi nel liquido seminale.
2 Gli organi interni
Dall’epididimo gli spermatozoi entrano nel dotto deferente (uno per ciascun testicolo), un lungo canale che risale nella cavità addominale, passa dietro la vescica e arriva a una delle due vescicole seminali. Queste sono due ghiandole che, insieme alla prostata , secernono le sostanze che insieme formano il liquido seminale. Le funzioni di questo liquido sono nutrire gli spermatozoi, trasportarli lungo il dotto eiaculatore e proteggerli dalle secrezioni che incontreranno una volta introdotti nella vagina. Il fluido formato dagli spermatozoi e dal liquido seminale è detto sperma 4

Gli spermatozoi continuano il loro percorso nei due dotti eiaculatori, che partono dalle vescicole seminali e raggiungono l’uretra, da cui usciranno all’esterno con l’eiaculazione. Durante un’eiaculazione vengono emessi pochi millilitri di sperma che però contengono un incredibile numero di spermatozoi, da 200 a 400 milioni!
Gli spermatozoi possiedono solo una piccola quantità di riserve nutritive; una volta rilasciati, si muovono attivamente nell’apparato riproduttore femminile dove sono in grado di vivere per non più di 72 ore.
Nel maschio la produzione degli spermatozoi è un processo che inizia con la pubertà , il periodo della vita compreso tra gli 11 e i 15 anni d’età, e continua senza sosta per tutta la durata della vita, anche se il numero degli spermatozoi prodotti diminuisce con l’avanzare dell’età.
Il cervello c’entra con l’amore?
Sì, è proprio così: tutta la gamma di emozioni e sentimenti che accompagnano l’amore ha inizio nel cervello con la produzione di particolari neurotrasmettitori come adrenalina, dopamina e serotonina, che a loro volta stimolano ghiandole riproduttive. La ragione è che le zone degli affetti, le aree più antiche del cervello, come talamo e ipotalamo, interagiscono direttamente con l’ipofisi che controlla e regola le ghiandole endocrine e la produzione di ormoni.
ENDORFINA
3 I caratteri sessuali secondari nel maschio
Gli organi che formano l’apparato riproduttore costituiscono i caratteri sessuali primari. Durante la pubertà sia nel maschio sia nella femmina compaiono i cosiddetti caratteri sessuali secondari , cioè tutte le caratteristiche esteriori tipiche di uno dei due sessi. Nei maschi, sono la comparsa di peli sul viso 5 a , sul pube e alle ascelle, l’ingrossamento del pene e dei testicoli, l’ispessimento delle corde vocali che cambiano il timbro della voce, l’aumento della massa muscolare 5 b , la comparsa del pomo d’Adamo 5 c . I caratteri sessuali secondari dipendono dagli ormoni sessuali prodotti dalle gonadi. Sono ormoni che appartengono al gruppo degli steroidi, sostanze di grande importanza, di cui fanno parte anche il colesterolo, gli acidi biliari, le vitamine del gruppo D. Tutti i caratteri sessuali secondari maschili sono sotto l’influenza del testosterone, il principale ormone maschile, ma intervengono anche alcuni ormoni prodotti dalle capsule surrenali. I testicoli producono testosterone anche durante la vita fetale, determinando lo sviluppo delle caratteristiche maschili del futuro bambino. Durante l’infanzia la produzione è ridotta, fino a raggiungere una concentrazione nel sangue che poi rimane costante fino alla vecchiaia.
VERSO LE COMPETENZE


5 I caratteri sessuali secondari.

Leggi il testo e rispondi alle domande.
È la competizione più affollata che esista: gli “atleti” sono circa 250 milioni e si affrontano, senza esclusione di colpi. Il premio però è ben più di una medaglia: chi arriva primo si guadagna la vita. È la gara degli spermatozoi per arrivare all’ovulo e fecondarlo. Il viaggio si presenta arduo da subito. L’ambiente vaginale è acido e inospitale, e moltissimi spermatozoi muoiono entro mezz’ora dall’ingresso. Secondo alcuni studi poi, qualche spermatozoo porterebbe una mutazione che gli consentirebbe di “sabotare” i colleghi. Al fotofinish tutti quelli rimasti volano verso l’ovulo. Una volta che il vincitore è arrivato, e non è per forza il più potente e veloce, le porte si chiudono immediatamente dietro di lui.
1. In che modo l’ambiente vaginale ostacola la risalita degli spermatozoi?
2. Qual è il ruolo delle mutazioni genetiche degli spermatozoi?
Ripassa la lezione 4 dell’unità Il sistema nervoso e il sistema endocrino e rispondi alle domande.
3. Quale ormone è responsabile della comparsa dei caratteri sessuali secondari nel maschio?
4. Da quale organo è prodotto?
5. Qual è la ghiandola che regola l’attività dei testicoli?
L’apparato riproduttore femminile lezione 3
CONTENUTI DIGITALI
CARTA PENNA

1 L’apparato riproduttore femminile.
tuba di Falloppio
Esplora l’oggetto interattivo e scrivi le risposte sul quaderno.

Come si formano i gemelli
1. Perché la nascita di gemelli è un fatto raro?
2. Qual è la differenza tra gemelli monovulari e biovulari?
3. Quali gemelli sono perfettamente somiglianti?
4. I gemelli monovulari possono essere di sesso diverso?
5. Che cosa determina la formazione dei gemelli siamesi?
1 Gli organi sessuali femminili
L’apparato riproduttore femminile ha la funzione di produrre i gameti femminili (cellule uovo o ovuli), accogliere lo sperma maschile, nutrire lo zigote per favorire lo sviluppo e la nascita di un nuovo individuo.
Per le delicate funzioni che deve svolgere, in particolare proteggere il nuovo individuo per la durata della gravidanza e fornirgli tutti i mezzi per formarsi e crescere, la maggior parte degli organi che formano l’apparato riproduttore femminile è all’interno del corpo. Gli organi principali sono le ovaie, le tube di Falloppio, l’ utero e la vagina 1
VEDUTA LATERALE
ovaia
utero
vescica urinaria
osso del pube
uretra
vagina ano retto
ovaia
VEDUTA FRONTALE
tuba di Falloppio utero
collo dell’utero vagina
La ricerca di Hasler
Le ovaie sono due ghiandole a forma di mandorla, lunghe circa 3-5 cm e larghe 1,5-3 cm, situate nella parte inferiore dell’addome. Sono destinate alla produzione delle cellule uovo e degli ormoni sessuali femminili. Ogni ovaia è formata da numerose vescichette, i follicoli, in ciascuna delle quali matura una cellula uovo. Al momento della nascita le ovaie contengono circa un milione di follicoli, la maggior parte dei quali degenera rapidamente: all’inizio della pubertà (tra gli 11 e i 14 anni), nelle ovaie sono presenti circa 500 000 follicoli contenenti altrettante cellule uovo immature, gli oociti
Nell’arco di tempo compreso tra la pubertà e i 50 anni circa, solo 500 di essi giungono a maturazione nel rispettivo follicolo e vengono espulsi dall’ovaia uno per volta al ritmo di 1 o 2 al mese. Il processo di espulsione della cellula uovo è detto ovulazione. Da ciascuna delle ovaie si dipartono due condotti, le tube di Falloppio o ovidotti, che raccolgono la cellula uovo quando viene espulsa dal follicolo. Ogni ovidotto è lungo circa 12-13 cm ed è rivestito all’interno da minuscole ciglia vibratili, che contribuiscono a spingere la cellula uovo verso l’utero 2
L’ utero è un organo muscolare cavo, con pareti molto spesse, situato dietro la vescica urinaria e davanti all’intestino retto. La parte inferiore dell’utero, detta cervice o collo dell’utero, comunica con la vagina , un breve canale muscolare in grado di dilatarsi durante l’accoppiamento, per permettere la penetrazione del pene. L’apertura della vagina è protetta da una sottile membrana, l’ imene, ed è circondata da due pieghe cutanee, chiamate piccole labbra e grandi labbra .
All’estremità delle piccole labbra è situato il clitoride, un organo di piccole dimensioni e ricco di terminazioni nervose, che svolge un ruolo importante nell’eccitazione sessuale femminile.
Davanti all’apertura della vagina, tra le grandi e le piccole labbra, si trova lo sbocco dell’uretra, la parte terminale dell’apparato escretore che, a differenza di quanto accade nel maschio, non è in comune con l’apparato riproduttore.
È l’ovulo a scegliere lo spermatozoo che lo feconderà?
Sì, studi recenti suggeriscono che gli ovuli femminili possano esercitare una forma di selezione degli spermatozoi, favorendo quelli geneticamente migliori ed esercitando un ruolo attivo nella scelta del corredo cromosomico dell’eventuale prole.
Le ipotesi sono due: la prima riguarda il ruolo della vitamina B, fondamentale nel concepimento, che sembra influire sul livello di gradimento tra ovuli e spermatozoi; la seconda è che gli spermatozoi, che spesso sono già presenti nel primo tratto dell’apparato riproduttore femminile prima che l’ovulo giunga a maturazione, mandino segnali chimici capaci di influenzare le successive preferenze della cellula uovo.
2 Le fasi del processo di formazione delle cellule uovo.

follicolo maturo
follicoli in sviluppo
oocita
ovaia
corpo luteo
ovulazione
cellula uovo matura
lezione
3 Ciclo ovarico e variazione dei livelli ormonali nell’arco dei 28 giorni del ciclo ovarico.
2
Il ciclo ovarico e il ciclo mestruale
Mentre gli spermatozoi sono prodotti in continuazione nel testicolo, gli ovuli maturano mediante un processo con andamento ciclico.
Il fenomeno di maturazione della cellula uovo è detto ciclo ovarico e dura circa 28 giorni.
Il ciclo ovarico è governato dagli ormoni prodotti dall’ipofisi: l’ormone follicolostimolante (FSH) e l’ormone luteinizzante (LH). Sotto il controllo dell’ipotalamo, questi due ormoni vengono inviati ai loro organi bersaglio, le ovaie, in tempi ben determinati. La figura 3 mostra la relazione fra le trasformazioni della mucosa uterina (endometrio) con le fasi ovariche e la produzione degli ormoni secreti dall’ipofisi e dalle ovaie.
ormoni ipofisari
ormoni ovarici
picco di LH FSH LH estrogeni progesterone
follicolo in via di sviluppo
MESTRUAZIONE
spessore dell’endometrio
ovulazione cellula uovo
corpo luteo
corpo luteo in regressione
14 giorni 0 giorni 28 giorni
■ Prima fase del ciclo ovarico (dal 1° al 14° giorno)
L’ipofisi produce l’ormone FSH che agisce su un follicolo: lo induce a maturare la cellula uovo e lo stimola a produrre estrogeni. Gli estrogeni, a loro volta, contrastano la produzione di FSH e stimolano quella di LH. Per effetto di questo ormone la mucosa che riveste la parete interna dell’utero, chiamata endometrio, si ispessisce e si arricchisce di vasi sanguigni, diventando morbida e spugnosa, pronta per accogliere l’eventuale cellula uovo fecondata.
■ Seconda fase del ciclo ovarico (intorno al 14° giorno)
Durante la maturazione della cellula uovo, il follicolo si riempie di liquido. Intorno al 14° giorno avviene l’ovulazione: il follicolo scoppia, rilascia il liquido che contiene e libera la cellula uovo matura. Sotto l’azione dell’ormone LH, il follicolo rotto si trasforma in corpo luteo, una struttura ghiandolare che secerne estrogeni e un altro ormone, il progesterone. Estrogeni e progesterone continuano a preparare la mucosa uterina per un’eventuale gravidanza, ma hanno anche la funzione di interrompere la produzione degli ormoni FSH e LH da parte dell’ipofisi; di conseguenza vengono bloccate altre ovulazioni.
■ Terza fase del ciclo ovarico (dal 14° al 28° giorno)
Se la cellula uovo non è stata fecondata, verso il 28° giorno dall’inizio del ciclo ovarico la mucosa uterina inizia a sfaldarsi e a staccarsi dalla parete dell’utero, mentre i vasi sanguigni che la irroravano si rompono. Il corpo luteo regredisce fino a scomparire. La cellula uovo non fecondata e brandelli della mucosa uterina misti a sangue vengono espulsi attraverso la vagina: si forma il flusso mestruale o mestruazione, che dura circa 4-5 giorni e segna l’inizio di un nuovo ciclo ovarico. La prima mestruazione, chiamata menarca , segna l’inizio della pubertà e si ripete mensilmente fino a quando, verso i 50 anni, l’ovulazione cessa e la donna entra in menopausa 4
La sequenza di cambiamenti periodici della mucosa uterina è detta ciclo mestruale ed è strettamente legata al ciclo ovarico.
Se invece la cellula uovo è stata fecondata, ha inizio il lungo processo dello sviluppo embrionale, chiamato gravidanza . Nel corso del primo anno dopo il menarca il ciclo può essere irregolare. Sempre più spesso i medici segnalano casi di endometriosi, una malattia invalidante dovuta alla crescita dell’endometrio, il tessuto che riveste la mucosa dell’utero, al di fuori di questo organo. Le donne affette da endometriosi manifestano un dolore intenso e persistente durante il ciclo. Sin dalla più giovane età è molto importante sapere che i dolori che si manifestano durante le mestruazioni o durante i rapporti sessuali non sono da considerarsi normali e non devono essere taciuti. Una pronta diagnosi e un trattamento tempestivo possono migliorare la qualità di vita e prevenire l’infertilità, che è una delle conseguenze di questa malattia.
VERSO LE COMPETENZE
Osserva la figura 3 e rispondi alle domande.

4 Mal di pancia e tensione al seno possono preannunciare l’arrivo del ciclo.
1. Come si trasforma la mucosa uterina dal 1° al 14° giorno del ciclo mestruale?
2. Che cosa avviene, nello stesso periodo, all’interno delle ovaie? Quali ormoni ovarici aumentano?
3. Che cosa accade a metà circa del ciclo ovarico?
4. Che cosa succede alla mucosa uterina nei giorni successivi all’ovulazione?
5. Che cosa succede nella fase conclusiva del ciclo ovarico?
dalla fecondazione alla nascita lezione 4
CONTENUTI DIGITALI
CARTA PENNA COMPUTER

Le fasi dello sviluppo embrionale
Guarda il video e scrivi le risposte sul quaderno.
1. Dove avviene la fecondazione dell’ovulo?
2. Che cos’è la blastula?
3. Che cosa avviene durante il processo di gastrulazione?
4. Che cosa possiede l’embrione dopo un mese di gravidanza?
5. Quando avviene il parto?
ORA FERMA L’IMMAGINE! Metti in pausa il video nei seguenti punti.

6. A quali momenti della segmentazione corrispondono le fotografie?

1
La fecondazione
Tra il 13° e il 16° giorno dall’inizio del ciclo ovarico la cellula uovo è rilasciata dal follicolo e scende lungo l’ovidotto: è il periodo fertile durante il quale l’ovulo può essere fecondato. Se l’uomo e la donna hanno un rapporto sessuale, lo sperma emesso dal pene fornisce, insieme al muco vaginale, un ambiente liquido nel quale possono “nuotare” i milioni di spermatozoi. Questi risalgono la vagina, attraversano l’utero e raggiungono la tuba di Falloppio. Qui incontrano la cellula uovo e si affollano intorno a essa per fecondarla: non appena la testa di uno di essi riesce a penetrare attraverso la membrana cellulare, si forma una spessa parete che impedisce l’accesso agli altri spermatozoi. Nella cellula uovo entra solo la testa dello spermatozoo, portandovi i 23 cromosomi paterni.
Dalla fecondazione, cioè dall’unione dei nuclei aploidi dello spermatozoo e della cellula uovo, si origina lo zigote.
Lo zigote, una cellula diploide con 46 cromosomi, è la prima cellula del nuovo individuo.
2 La segmentazione e l’annidamento
Avvenuta la fecondazione, ha inizio la gravidanza. Lo zigote comincia a dividersi con un processo chiamato segmentazione 1 : si divide prima in 2, poi 4, 8, 16, 32 cellule e così via. Tutte le nuove cellule che si formano rimangono addossate dando origine a un microscopico ammasso sferico, la morula , così definita proprio perché assomiglia a una mora. Mentre si segmenta, la morula scende lungo la tuba di Falloppio e dopo 5-6 giorni dalla fecondazione raggiunge l’utero.
A questo punto la maggior parte delle cellule della morula si sposta verso l’esterno e forma la parete di una sfera cava, mentre il rimanente si raggruppa in una piccola massa a un polo della sfera. Si è così formata la blastula .
Dopo circa una settimana dalla fecondazione, la blastula si annida nella parete dell’utero: da questo momento inizia la formazione dell’embrione
giorno 0
OVULAZIONE
giorno 3-4
spermatozoo
FECONDAZIONE
cellula uovo
giorno 2-3
segmentazione
1 Dall’ovulazione all’annidamento.
giorno 1
ZIGOTE
giorno 2
giorno 5 giorno 6
la blastula aderisce all’utero impianto della blastula
cellule staminali
giorno 8-10
3 Da embrione a feto
Avvenuto l’annidamento, le cellule che costituiscono la massa centrale della blastula si differenziano per dare origine ai diversi tessuti del nuovo organismo. Dalle cellule più esterne della blastula, invece, si formano l’amnios e il corion, due membrane destinate a proteggere e a nutrire l’embrione 2
• L’amnios è una membrana che delimita una specie di sacco pieno di liquido, il liquido amniotico, che circonda e sorregge l’embrione fino al termine della gravidanza; il suo compito è proteggere l’embrione dalla disidratazione, dagli urti e dagli sbalzi di temperatura.
• Il corion è una membrana provvista di numerose estroflessioni, i villi coriali , che si inseriscono nella mucosa uterina per formare la placenta.
La placenta è un organo spugnoso, costituito in parte da tessuto materno (la mucosa uterina nella zona in cui si era annidato l’ovulo) e in parte da tessuto dell’embrione (il corion). Durante l’intero sviluppo l’embrione è collegato alla placenta mediante il cordone ombelicale, un canale contenente i vasi sanguigni.
cordone ombelicale

2 L’embrione e le membrane che garantiscono la sua sopravvivenza.
liquido amniotico
villi coriali
mucosa uterina
amnios
corion
STADIO A 2 CELLULE
STADIO A 4 CELLULE
STADIO A 8 CELLULE
MORULA BLASTULA
Lo sviluppo dell’embrione e del feto umani nei nove mesi di gravidanza.
1 mese
2 mesi




3 mesi

4 mesi






Grazie alla placenta, l’embrione può nutrirsi e respirare: le sostanze nutritive e l’ossigeno passano dai vasi sanguigni della madre a quelli dell’embrione. I prodotti di rifiuto dell’embrione seguono il percorso inverso: passano dai suoi vasi sanguigni a quelli della madre, che li elimina per mezzo dei polmoni o dei reni. La circolazione fetale e quella materna, comunque, rimangono separate: la placenta infatti forma una barriera affinché il feto sia protetto da alcuni microbi e da sostanze tossiche. Contemporaneamente alla formazione della placenta, l’embrione abbozza i suoi primi organi: alla fine del secondo mese di gravidanza ha un aspetto simile a quello di un bambino in miniatura; a partire dal terzo mese, aumenta di dimensioni e la struttura generale del suo corpo si perfeziona: a questo punto l’embrione prende il nome di feto 3 .



4 Si completa la formazione degli organi








5 mesi












6 mesi

7 mesi


8 mesi

9 mesi




























Lo sviluppo del feto procede rapidamente; nel frattempo il ventre materno si ingrossa e la madre inizia ad avvertire i suoi primi movimenti. Dal quinto mese in poi, tutti gli apparati assumono la loro forma definitiva; il feto continua a crescere e comincia a dormire e a svegliarsi, proprio come un neonato. A sette mesi, l’aspetto del bambino è completamente modellato e a volte può nascere proprio alla fine di questo periodo. Possiamo vedere il feto nelle diverse fasi della gravidanza facendogli una vera e propria fotografia con gli ultrasuoni. Questo metodo di indagine prenatale si chiama ecografia . La tecnica è realizzata grazie a un’apparecchiatura che dirige sul feto un fascio di ultrasuoni, i quali vengono riflessi in maniera diversa a seconda del tipo di tessuto che incontrano. Grazie all’ecografia, che non presenta rischi e può essere ripetuta più volte nel corso della gravidanza, è possibile datare con precisione l’inizio della gravidanza, diagnosticare eventuali malattie genetiche, misurare le dimensioni del feto e anche stabilirne il sesso.
Oggi, alla tradizionale ecografia in due dimensioni, si sono aggiunte l’ecografia 3D 4 , che fornisce foto in tre dimensioni del feto, e l’ecografia 4D, che consente di visualizzare immagini in movimento, permettendo di vedere “in diretta” il piccolo che si succhia il dito o che gioca con il cordone ombelicale.

5 Il parto
Nelle ultime settimane della gravidanza, il feto cambia posizione, ruotando in modo da mettersi con la testa in giù, vicino all’imboccatura dell’utero. La sua testa, liscia e rotonda, ha all’incirca la stessa larghezza delle spalle ed è quindi adatta ad aprire la strada, lungo il canale d’uscita, verso l’esterno. Al termine del nono mese di gravidanza, i cambiamenti ormonali che avvengono nella madre stimolano le contrazioni dei muscoli dell’utero, provocando le doglie che annunciano l’inizio del parto 5 . Durante il travaglio, la fase iniziale del parto, le contrazioni fanno dilatare progressivamente il collo dell’utero fino a permettere il passaggio della testa del bambino. Una volta che il collo dell’utero è dilatato a sufficienza, iniziano le contrazioni efficaci per l’uscita del feto dal grembo materno. In genere il sacco amniotico si rompe provo -
4 Ecografia 3D.
Le contrazioni spingono il bambino verso la vagina.
L’amnios si rompe e il liquido amniotico fuoriesce.
Esce prima la testa. In seguito esce l’intero corpo del bambino.
cando la “rottura delle acque”, cioè la fuoriuscita del liquido che contiene. Dopo questo evento le contrazioni diventano sempre più forti e frequenti fino a quando il bambino nasce. Uscito dal grembo materno, il neonato comincia a respirare con i propri polmoni, che per la prima volta si riempiono d’aria; anche i reni e l’apparato digerente iniziano a svolgere le loro funzioni. Pochi minuti dopo la nascita, l’utero materno riprende a contrarsi per permettere l’espulsione della placenta. Il cordone ombelicale viene reciso; il moncone rimasto attaccato al bambino cade dopo pochi giorni e lascia al suo posto una cicatrice, l’ombelico.
Dopo il parto, la prolattina stimola nella madre la produzione del latte e l’ossitocina ne provoca il rilascio. Se il bambino viene allattato al seno, l’atto stesso del succhiare stimola la secrezione del latte e quindi prolunga il periodo della sua produzione. Nel primo anno di vita il peso del neonato si accresce di circa tre volte e la sua altezza diventa più o meno il doppio: in seguito, il ritmo di accrescimento corporeo rallenta, mentre si sviluppa in maniera straordinaria il sistema nervoso.
FISSA I CONTENUTI ESSENZIALI
Segna con una crocetta se vero (V) o falso (F).
1. La fecondazione avviene nell’utero.
2. L’annidamento avviene al momento della fecondazione.
3. La placenta permette gli scambi tra madre e feto.
4. Il travaglio è la fase iniziale del parto.
VERSO LE COMPETENZE
Rispondi alle domande.
1. Dove avviene la fecondazione?
2. Che cos’è la segmentazione?
3. Che cosa sono e a che cosa servono l’amnios e il corion?
4. Che cosa collega l’embrione alla placenta?
5. Quale ormone stimola la produzione del latte?
5 Le fasi del parto.

Le malattie a trasmissione sessuale
CON LA SINTESI
lezione 1 LA RIPRODUZIONE UMANA
Nella specie umana la riproduzione è sessuata e avviene attraverso la fusione tra lo spermatozoo, il gamete maschile, e la cellula uovo, il gamete femminile. Lo spermatozoo è una cellula molto piccola, mobile, formata da una testa, un collo e una coda. La cellula uovo è tondeggiante, racchiusa in un rivestimento proteico e contiene un citoplasma ricco di materiale di riserva. I gameti sono cellule aploidi, con 23 cromosomi singoli, uno per ogni coppia di cromosomi omologhi.
I gameti sono prodotti dalle gonadi, i testicoli nel maschio e le ovaie nella femmina, attraverso la meiosi. Durante la meiosi da due cellule diploidi se ne formano quattro aploidi; nel corso della prima divisione meiotica può avvenire il crossing-over, cioè uno scambio di geni tra cromosomi omologhi.
lezione 2 L’APPARATO RIPRODUTTORE MASCHILE

L’apparato riproduttore maschile ha la funzione di produrre gli spermatozoi e fare in modo che essi raggiungano l’apparato riproduttore femminile. Gli organi sono in parte interni all’organismo e in parte esterni. Esternamente ci sono i testicoli e il pene. I testicoli sono costituiti dai tubuli seminiferi, dove si formano gli spermatozoi. Successivamente essi confluiscono nell’epididimo e da qui nel dotto deferente, che prosegue nell’uretra e nel pene, l’organo che permette la deposizione degli spermatozoi all’interno dell’apparato riproduttore femminile. Le vescicole seminali e la prostata secernono il liquido seminale, che serve da nutrimento per gli spermatozoi, ma è anche un aiuto al movimento degli spermatozoi lungo il dotto deferente e una protezione dalle secrezioni della vagina. Spermatozoi e liquido seminale formano lo sperma. Nel maschio la produzione di spermatozoi inizia con la pubertà e continua senza sosta per tutta la durata della vita, anche se il numero di spermatozoi diminuisce con l’età. Gli ormoni maschili, soprattutto il testosterone, determinano la comparsa dei caratteri sessuali secondari durante la pubertà quali la crescita di peli sul viso, sul pube e sulle ascelle, l’ingrossamento del pene e dei testicoli, l’ispessimento delle corde vocali, con la comparsa del pomo d’Adamo e l’aumento della massa muscolare.


lezione 3 L’APPARATO RIPRODUTTORE FEMMINILE
L’apparato riproduttore femminile ha la funzione di produrre le cellule uovo, accogliere lo sperma e nutrire lo zigote per lo sviluppo di un nuovo individuo. Gli organi principali sono le ovaie, formate da numerosi follicoli, all’interno dei quali maturano gli ovuli, le tube di Falloppio, l’utero e la vagina L’ovulo, una volta espulso, entra nell’ovidotto e giunge all’utero, che comunica con la vagina nella parte inferiore. Estrogeno, progesterone, FSH, LH sono gli ormoni che regolano il ciclo ovarico la cui durata è di 28 giorni, e il ciclo mestruale. Il ciclo ovarico si divide in tre fasi: la maturazione della cellula uovo, l’ovulazione (cioè la sua espulsione dal follicolo) e i cambiamenti della parete dell’utero. Se l’ovulo non viene fecondato, la mucosa dell’utero si sfalda, i capillari si rompono e tutto il materiale viene espulso con la mestruazione. Il ciclo ovarico si interrompe intorno ai 50 anni di età e la donna entra in menopausa, cioè non è più fertile.
lezione 4 DALLA FECONDAZIONE ALLA NASCITA
La fecondazione, cioè l’unione di uno spermatozoo con la cellula uovo, avviene nell’ovidotto e comporta la formazione dello zigote. Lo zigote rappresenta la prima cellula di un nuovo individuo, che inizia a dividersi già mentre scende lungo l’ovidotto. Al momento in cui raggiunge l’utero, lo zigote si è trasformato in una microscopica sfera di cellule, la morula, che in seguito si trasforma in blastula. Entro la prima settimana dopo la fecondazione, la blastula si annida nelle pareti dell’utero e ha inizio così la gravidanza. Avvenuto l’annidamento, dalla blastula si originano l’embrione e le membrane destinate a proteggerlo e a nutrirlo, l’amnios e il corion.
All’interno dell’utero si forma la placenta attraverso la quale, tramite il cordone ombelicale, l’embrione riceve nutrimento, ossigeno ed elimina le sostanze di rifiuto. Nella fase embrionale si differenziano e si formano le diverse parti del nuovo organismo; questo, verso la fine del secondo mese, assume un aspetto simile a quello di un bimbo e prende il nome di feto. Al termine del nono mese di gravidanza entrano in gioco alcuni ormoni che innescano il travaglio, la fase iniziale del parto, durante il quale le contrazioni fanno dilatare il collo dell’utero per permettere la nascita del bambino. Dopo il parto, l’ormone prolattina stimola nella madre la produzione di latte, mentre l’ossitocina ne provoca il rilascio.


CON LA MAPPA
Adesso che hai ripassato i contenuti essenziali con la sintesi, prova a completare la mappa con le parole chiave suggerite e a trovare le definizioni corrispondenti.
ovaie - ovuli - pene - prostata - spermatozoi - utero
1. LA RIPRODUZIONE
avviene grazie ai
che si distinguono in
che maturano nell’ che maturano nell’
6. apparato riproduttore femminile
7. apparato riproduttore maschile
che è formato prevalentemente da che è formato da
8. organi interni 12. organi interni 13. organi esterni
a. Organo dove si sviluppa l’embrione.
b. Possiedono la metà dei cromosomi delle cellule somatiche.
c. Organi che producono gli spermatozoi.
d. Lo sono il pene e i testicoli.
e. Permettono la riproduzione sessuata.
2. gameti
cellule aploidi
testicoli
tube di Falloppio
lezione 1 LA RIPRODUZIONE UMANA
1 Sottolinea il termine corretto tra i due proposti.
a. I gameti sono cellule diploidi/aploidi
b. I cromosomi/ribosomi sono depositari del patrimonio genetico.
c. La specie umana è caratterizzata da 46/23 cromosomi.
d. Lo zigote si divide per mitosi/meiosi.
2 Scegli la soluzione corretta.
a. La fusione di un gamete femminile e uno maschile determina la formazione:
1 di spermatozoi.
2 di ovuli.
3 di uno zigote.
4 dei cromosomi.
b. Le dimensioni della cellula uovo sono:
1 uguali a quelle dello spermatozoo.
2 più piccole dello spermatozoo.
3 più grandi dello spermatozoo.
4 non sono sempre della stessa dimensione.
c. Il crossing-over si definisce come uno scambio di:
1 cromosomi tra cellule durante la mitosi.
2 geni tra cromosomi omologhi.
3 cromosomi tra i gameti.
4 cromosomi tra cellule somatiche.
d. Gli spermatozoi:
1 possiedono una minima quantità di riserve nutritive.
2 sono prodotti per un periodo della vita.
3 sono in grado di muoversi.
4 vivono per un paio d’ore.
3 Osserva il disegno e inserisci accanto a ogni termine il numero corrispondente.
a. Cellula uovo
b. Rivestimento proteico
c. Nucleo
d.

lezione 2 L’APPARATO RIPRODUTTORE MASCHILE
4 Osserva il disegno e inserisci accanto a ogni termine il numero corrispondente.
a. Pene
b. Testicolo
c. Scroto
d Vescicola seminale
e. Prostata f. Dotto deferente g. Uretra
5 Scegli la soluzione errata.
a. I testicoli:
1 sono collocati all’interno dell’apparato riproduttivo maschile.
2 sono gli organi dove sono prodotti gli spermatozoi.
3 producono gli ormoni sessuali maschili.
4 sono avvolti dallo scroto.
b. I caratteri sessuali secondari che compaiono durante la pubertà sono:
1 i peli su ascelle e pube ma non sul viso.
2 il pomo d’Adamo.
3 l’aumento di massa corporea.
4 l’ingrossamento del pene.
c. Il liquido seminale:
1 contiene il liquido prodotto dalle vescicole seminali.
2 forma lo sperma insieme agli spermatozoi.
3 rimane all’interno della prostata.
4 ha il compito di nutrire gli spermatozoi.
6 Segna con una crocetta se vero (V) o falso (F).
a. L’uretra fa parte sia dell’apparato riproduttore sia dell’apparato escretore maschile.
b. L’ingrossamento del pene si chiama eiaculazione.
c. Nei tubuli seminiferi sono prodotti gli spermatozoi.
d. Le vescicole seminali e la prostata producono lo sperma.
lezione 3 L’APPARATO RIPRODUTTORE FEMMINILE
7 Osserva il disegno e inserisci accanto a ogni termine il numero corrispondente.
a. Utero
b. Vagina
c. Tube di Falloppio
d. Ovaia
8 Segna con una crocetta se vero (V) o falso (F).
a. I gameti femminili si chiamano oociti.
b. L’apparato riproduttore femminile è in parte esterno.
c. L’endometrio è la mucosa che riveste la parete interna dell’utero.
d. Il ciclo ovarico è regolato dagli ormoni prodotti dall’ipofisi.
9 Abbina i termini con la definizione corretta.
1. Utero
2. Ovaie 3. Estrogeni 4. Menarca
a Ormoni femminili
b Prima mestruazione
c Organi dove maturano gli ovuli
d Organo muscolare cavo
1. 2. 3. 4.
lezione 4 DALLA FECONDAZIONE
10 Segna con una crocetta se vero (V) o falso (F).
a. Lo zigote si divide con il processo di meiosi.
b. L’amnios contiene il liquido amniotico.
c. Il cordone ombelicale è attaccato alla placenta.
d. Al settimo mese di gravidanza il feto è completamente modellato.
11 Completa le frasi con il termine corretto.
a. Dopo la fecondazione lo zigote comincia a dividersi con il processo di
b. Durante le successive divisioni le cellule rimangono addossate le une alle altre formando la e successivamente la blastula.
c. Dopo una settimana dalla fecondazione la blastula si annida nella parete dell’ Da questo momento si forma l’
12 Osserva il disegno e inserisci accanto a ogni termine il numero corrispondente.

a. Amnios
b. Liquido amniotico
c. Corion
d. Villi coriali
e. Mucosa uterina
f. Cordone ombelicale
fasi del ciclo ovarico

giorno
a. Dal 1° al giorno la mucosa che riveste la parete dell’ si ispessisce.
b. Contemporaneamente la cellula uovo matura nel . Avvenuta l’ovulazione il follicolo si trasforma nel .
ANALIZZARE UN MODELLO E SPIEGARE
spessore della mucosa uterina
giorno
c. Se la cellula uovo non è stata fecondata il corpo luteo regredisce, la si stacca dalla parete dell’utero e i che la irroravano si rompono. Tutto il materiale viene espulso dalla vagina con la
2 Associa ogni fase dello sviluppo alla parte corretta dell’apparato riproduttore femminile.
3 Il disegno rappresenta la prima parte della meiosi. Spiega che cosa avviene in ciascuna fase.
profase I metafase I anafase I telofase I e citodieresi
profase I metafase I anafase I telofase I e citodieresi




b. Metafase.
c. Anafase.
d. Telofase e citodieresi.







ELABORARE INFORMAZIONI DA UN TESTO
4 Leggi il brano.
POVERTÀ E IGIENE
In alcuni dei Paesi più poveri bambine e adolescenti si trovano ad affrontare la pubertà senza alcun tipo di sostegno e preparazione al riguardo. Le mestruazioni portano alla forzata assenza dalla scuola: secondo le Nazioni Unite, una ragazza su dieci nell’Africa subsahariana non frequenta la scuola quando ha il ciclo mestruale, arrivando a perdere il 20% del tempo scolastico annuale. Ciò è dovuto alla mancanza o impossibilità di acquistare assorbenti usa e getta e alla mancanza di strutture igieniche. La conseguenza immediata è l’abbandono scolastico e l’esposizione al rischio di gravidanze in tenera età, senza contare una lunga serie di infezioni. D’altra parte per molte donne è improponibile sostenere il costo degli assorbenti usa e getta. Una soluzione possibile al problema, e vantaggiosa anche per le ricadute ambientali e occupazionali, è incentivare la produzione locale di assorbenti ecologici. Progetti di produzione ecologica di assorbenti sono stati sviluppati in


diversi Paesi africani. È quanto è emerso nel corso della Giornata internazionale dell’igiene mestruale, argomento particolarmente rilevante in Africa in relazione alla salute femminile e alle pari opportunità.

Rispondi alle domande e svolgi le attività proposte da solo o in gruppo con i tuoi compagni.
a. Perché è importante che le donne possano avere a disposizione tutto ciò che permette loro una corretta igiene?
b. Perché, secondo te, è opportuno istituire una giornata internazionale per sensibilizzare su questo fenomeno naturale legato alla normale crescita di una bambina?
Con l’aiuto del vostro insegnante chiedete a un chatbot di intelligenza artificiale di fornirvi un elenco di pregiudizi e tabù sulle mestruazioni suddivisi per aree geografiche. Riportate l’elenco su un cartellone e discutetene insieme cercando di individuare per ciascuna affermazione l’origine dell’idea scorretta e proponendo dei modi per contrastarla.


AN IRREPLACEABLE FOOD
Breast milk is irreplaceable because it is species-specific and individual-specific Species-specific means that each mammal produces milk best suited to the needs of its young-for instance, cow’s milk is rich in protein to help calves stand shortly after birth. Human babies grow differently, so human milk meets their slower development needs. But there is more: each mother produces a slightly different milk from all the others, which responds to her baby’s needs–hence, individual-specific. After childbirth, the milk appears thick and yellowish: it is called colostrum , the ideal food for human newborns. Colostrum contains very few fats and many proteins that help to protect the infant from infection. Within a few days, transitional milk is produced and, finally, the production of mature milk begins, which has less protein but more fat. Even in mature milk, the composition changes visibly even in the course of a single feed: at the beginning the milk is more transparent and looks like water, but the colour turns white as the fat content increases.
SPECIES-SPECIFIC specie-specifico INDIVIDUAL-SPECIFIC individuo-specifico COLOSTRUM colostro
COMPREHENSION EXERCISES
Fill in the gaps with the following words. colostrum ● different ● fats ● functional ● individual-specific ● irreplaceable ● mature ● proteins ● species-specific
Breast milk is because it is both and . This means it is the most for each baby and slightly for every mother. After birth, milk is first called , rich in immune . Then comes milk, higher in



lossario
Crescere, un ,avventura meravigliosa!

Sei in un momento molto particolare della tua vita, si chiude il capitolo dell’infanzia e sei proiettato verso la vita adulta. Hai già fatto delle scelte sul tuo futuro percorso scolastico, sai che dovrai lasciare molti dei tuoi compagni ma che ne incontrerai altri che potranno diventare nuovi amici. Anche il tuo corpo sta cambiando in fretta e tutto questo ti mette di fronte a situazioni che possono suscitare in te una grande voglia di crescere, ma anche il desiderio di continuare a restare nel “guscio” protetto dell’infanzia. Crescere è davvero un’avventura meravigliosa, che apre nuovi orizzonti e ti propone nuove sfide. Sei pronto?
PREREQUISITI
Saper descrivere anatomia e fisiologia degli apparati riproduttori maschile e femminile.
Padroneggiare diversi tipi di linguaggi espressivi. Sapere in che cosa consiste la propriocezione. Conoscere i meccanismi che mantengono il corpo in equilibrio.
RISULTATI ATTESI
Comprensione della necessità di assumere atteggiamenti responsabili e consapevoli nei confronti di sé stessi e dei partner.
Consapevolezza della necessità di alimentarsi in modo corretto.
Capacità di esprimere sentimenti ed emozioni attraverso linguaggi verbali e non verbali.
Consapevolezza della necessità di rispettare le regole di convivenza civile e le leggi dello Stato.
RACCORDI interdisciplinari
Proponiamo alcuni approfondimenti che possono essere affrontati nel percorso interdisciplinare, ma la mappa suggerisce molti altri argomenti che possono essere sviluppati per integrare lo stesso percorso.
ITALIANO: riflessione su un libro, una poesia, un articolo sul tema dell’adolescenza.
SCIENZE: gli apparati riproduttori maschile e femminile e lo sviluppo sessuale.
ARTE: la street art.
MUSICA: il rap.
EDUCAZIONE CIVICA: i disturbi alimentari nell’adolescenza.
SCIENZE MOTORIE: il parkour
RIFLESSIONE SU UN LIBRO, UNA POESIA, UN ARTICOLO SULL’ADOLESCENZA
GLI APPARATI RIPRODUTTORI E LO SVILUPPO SESSUALE
LA STREET ART
IL RAP
I DISTURBI ALIMENTARI NELL’ADOLESCENZA
SCIENZE MOTORIE
IL PARKOUR
MUSICA
EDUCAZIONE CIVICA
ARTE
ITALIANO
SCIENZE
ARTE
La street art
La street art è un’espressione artistica che si manifesta in spazi pubblici, utilizzando diverse tecniche come graffiti, stencil, poster e installazioni. Nata come forma di ribellione e affermazione personale, si è evoluta fino a diventare uno strumento per la riqualificazione urbana e la comunicazione di messaggi sociali e politici. Inizialmente vista come una forma di vandalismo, oggi è riconosciuta come una forma d’arte che può essere anche legale, con opere commissionate o realizzate in accordo con le istituzioni.
Uno dei maggiori esponenti della street art è Bansky, un artista inglese dall’identità ancora sconosciuta. Utilizza spazi pubblici urbani, realizzando opere che documentano, per esempio, le atrocità della guerra, l’inquinamento, lo sfruttamento minorile, il maltrattamento degli animali. Utilizzando abilmente i codici comunicativi della pittura su muro, Banksy riesce a esprime temi anche atroci in opere piacevoli e brillanti, in grado di sensibilizzare la gente sulle problematiche proposte e di trasformare gli spazi delle città in luoghi di riflessione.

DOMANDE GUIDA
Nell’immagine è rappresentato la famosa opera di Bansky, Bambina con il palloncino. Osserva l’opera e prova a ipotizzare quale potrebbe essere il messaggio dell’artista.
È il palloncino che sta volando via o la bambina lo sta afferrando?
DIGITAL SKILLS
PER APPROFONDIRE
Ricerca in rete immagini di opere di street artist italiani e scopri come sono state realizzate.
SCIENZE MOTORIE
Il parkour
Il parkour è una disciplina sportiva nata in Francia a partire dalla metà degli anni 1990. Consiste nell’abilità di compiere un percorso superando qualsiasi genere di ostacolo in maniera veloce ed efficiente. Comprende corsa, arrampicata oscillazione, volteggio, salto, rotolamento e altri movimenti ritenuti più adatti alla situazione. Il parkour è certamente utile in situazioni di emergenza, ma per i giovani è diventato un modo innovativo di vivere l’ambiente urbano contemporaneo, che abbonda di spazi adatti a questa pratica sportiva e permette di oltrepassare con semplicità le diverse barriere architettoniche lungo il cammino. Il parkour trae ispirazione dal metodo di Georges Hébert, ufficiale di marina francese, che nei primi anni del Novecento sviluppò un particolare metodo di allenamento per l’addestramento delle truppe.

DOMANDE GUIDA
a. Che cos’è il parkour?
b. In quale ambiente si pratica prevalentemente?
c. Da dove nasce?
Con l’aiuto del tuo insegnante chiedi a un chatbot di intelligenza artificiale di fornirti informazioni su come praticare il parkour alla tua età e richiedi un elenco di video dedicati, utili per comprendere come praticare questo nuovo sport.
Intelligenza Artificiale IA
Coordinamento redazionale: Marco Mauri
Responsabile editoriale: Martina Mirabella
Redazione e revisione scientifica: Martina Mirabella, G.E.M.
Art director: Enrica Bologni
Revisione linguistica: Lisa Suett
Progetto grafico e impaginazione: G.E.M.
Copertina: G.E.M.
Ricerca iconografica: Martina Mirabella, Paola Bollani
Disegni: Daniele Gianni
Immagini di copertina: Shutterstock
Si ringrazia Federico Zanni per la collaborazione redazionale.
Referenze iconografiche: Shutterstock, Alamy
Tutte le altre immagini provengono dall’Archivio Principato-Gruppo Editoriale ELi. Per le riproduzioni di testi e immagini appartenenti a terzi, inserite in quest’opera, l’editore è a disposizione degli aventi diritto non potuti reperire, nonché per eventuali non volute omissioni e/o errori di attribuzione nei riferimenti.
Font: leggimi©Sinnos - www.sinnos.org
Contenuti digitali: bSmart labs
Prima edizione: gennaio 2026
Printed in Italy
RINGRAZIAMENTI
Per la collaborazione alla realizzazione della rubrica
Le professioni del tuo futuro si ringraziano: Alice Basiricò, Alida Carrà, Arianna Carrà, Stefano Di Nunno, Davide Fracassetti, Michela Lupo, Matteo Mauri, Elena Scotti, Giulia Vinciguerra.
© 2026 - Proprietà letteraria riservata. È vietata la riproduzione, anche parziale, con qualsiasi mezzo effettuata, compresa la fotocopia, anche ad uso interno o didattico, non autorizzata. Le fotocopie per uso personale del lettore possono essere effettuate nei limiti del 15% di ciascun volume dietro pagamento alla SIAE del compenso previsto dall’art. 68, commi 4 e 5, della legge 22 aprile 1941 n. 633. Le riproduzioni per finalità di carattere professionale, economico o commerciale o comunque per uso diverso da quello personale, possono essere effettuate a seguito di specifica autorizzazione rilasciata da CLEARedi (Centro licenze e autorizzazioni per le riproduzioni editoriali), corso di Porta Romana 108, 20122 Milano, e-mail autorizzazioni@clearedi.org e sito web www.clearedi.org.
L’editore fornisce – per il tramite dei testi scolastici da esso pubblicati e attraverso i relativi supporti nel sito www.gruppoeli.it materiali e link a siti di terze parti esclusivamente per fini didattici o perché indicati e consigliati da altri siti istituzionali. Pertanto l’editore non è responsabile, neppure indirettamente, del contenuto e delle immagini riprodotte su tali siti in data successiva a quella della pubblicazione, dopo aver controllato la correttezza degli indirizzi web ai quali si rimanda.
Principato, Gruppo Editoriale ELi www.gruppoeli.it Viale E. Jenner 17 - 20159 Milano e-mail: info@gruppoeli.it
La casa editrice attua procedure idonee ad assicurare la qualità nel processo di progettazione, realizzazione e distribuzione dei prodotti editoriali. La realizzazione di un libro scolastico è infatti un’attività complessa che comporta controlli di varia natura. È pertanto possibile che, dopo la pubblicazione, siano riscontrabili errori e imprecisioni. La casa editrice ringrazia fin da ora chi vorrà segnalarli a: Servizio clienti Principato-Gruppo Editoriale ELi e-mail: info@gruppoeli.it
Stampa: Tecnostampa - Pigini Group Printing Division - Loreto - Trevi
26.85.009.0