
41 minute read
“Nuestro sector es hoy más necesario que nunca”
from Ateuves 55
by Grupo Asís
Elanco comienza el año con la compra de Novartis y Lohmann y con Susana Lapuente como nueva directora general, y siempre con el objetivo puesto en enriquecer la vida a través de los alimentos y las mascotas.
Advertisement
Sheila Riera Ateuves ateuves@grupoasis.com
Susana Lapuente Directora general de Elanco Iberia ¿Cómo afronta esta nueva etapa como directora general de la compañía? Con tremenda ilusión. Estoy convencida de que cuando en el futuro mire hacia atrás, veré este momento no sólo como un punto de inflexión crucial en la vida de esta compañía, sino también en la manera en que aportamos valor a nuestros clientes. Para nosotros cada vez tiene más importancia focalizarse en el cliente y la diversidad del nuevo Elanco, enriquecido por la unión de tres grandes compañías —Elanco, Novartis y Lohmann— aporta un equipo de personas con gran talento y profesionalidad que nos permitirá obtener lo mejor de este momento de desafíos y oportunidades en el que nos encontramos. No tengo duda de que juntos vamos a ser capaces de marcar la diferencia. Seremos capaces de influir en la trayectoria de nuestra industria, y tendremos un verdadero impacto en la vida de muchas personas a través de una compañía aún más determinante.
¿Qué objetivos se ha planteado en su nuevo cargo? La visión de Elanco es enriquecer la vida de las personas a través de los alimentos y los animales de compañía. Nuestro objetivo final es ayudar a que los alimentos sean más asequibles, accesibles y sostenibles, y poder acercar a miles de familias alrededor del mundo la experiencia del amor incondicional a los animales de compañía. Nuestro sector es hoy más necesario que nunca para la sociedad.
El año ha empezado con la compra de Novartis por parte de Elanco. ¿Qué supone esta noticia para Elanco y sus trabajadores? Ilusión y muchos retos. Supone crear una organización líder en la industria de sanidad animal, uniendo el talento de profesionales que comparten una misma pasión por el servicio al cliente. Nace un nuevo líder de salud animal a nivel global y en España nos situamos dentro de las tres primeras compañías del sector, ofreciendo una cartera de productos y servicios aún más amplia y especializada.
¿Cómo se complementan los porfolios de las dos compañías? Nos proporciona más dimensión y profundidad a la ya de por sí potente cartera de productos de Elanco, lo que amplía nuestra capacidad de ofrecer soluciones a medida. Además, la nueva organización verá aumentada su capacidad y experiencia con una cartera de más de 100 líneas de desarrollo de productos. Elanco aumentará significativamente la inversión en investigación y desarrollo, contando para ello con 17 plantas de fabricación y 14 plantas de investigación y desarrollo repartidas por todo el mundo.

Optimismo para el éxito
¿A quién comprarías más fácilmente: a una persona huraña y malhumorada o a otra sonriente y amable? La respuesta está clara. Ahora te toca trabajar para ser esa segunda opción que tiene el éxito asegurado.

Natalia Sagarra Ateuves ateuves@grupoasis.com ¿Qué es lo que hace que cuando la realidad se muestra adversa podamos transformarla y ver posibilidades para sobrellevarla? ¿Por qué muchos fracasos u obstáculos se vuelven desafíos para algunos, mientras que para otros resultan experiencias devastadoras? Según escribe Daniel Goleman en su libro La inteligencia emocional, “todas las personalidades exitosas, desde los deportistas hasta los músicos, tienen en común un punto: la capacidad de motivación personal para llevar a cabo una rutina de entrenamiento que les permita llegar al podio”. De hecho, la falta de motivación, personal o de equipo, es uno de los errores que conlleva pérdidas económicas importantes en cualquier empresa.
Mantenerse optimista
Hay muchos factores que influyen para que un profesional, sanitario o no, tenga éxito en su carrera. Uno de ellos es la actitud que muestra ante la vida, y sobre todo ante los desafíos que se nos plantean a lo largo del camino. Ser optimista no sólo es desear que ocurra lo mejor, que se esté exento de problemas o negarse a verlos y decir que todo es de color rosa. Significa hacer un esfuerzo y orientar nuestra energía para encontrar soluciones, ventajas y oportunidades; significa asumir responsabilidades y tomar
La risa y el buen humor ayudan a vivir mejor las emociones, mientras que preocuparse permanentemente consume los recursos que necesitamos para afrontar con éxito los retos.
Maglara/shutterstock.com
decisiones, decidir seguir adelante y aprender de todas las situaciones. Implica emprender acciones con dedicación, persistencia y entusiasmo para que los hechos positivos sucedan. Así mismo exige revisar nuestras acciones para mejorar lo que está mal, y huir de la simple crítica o la queja que no lleva a ningún puerto. Ser optimista es una filosofía de vida. Si no lo eres por naturaleza puedes trabajar y esforzarte para serlo. Es como el deporte, al principio es duro, pero cuanto más lo practiques mejor te saldrá. Exige esfuerzo y voluntad inicialmente. Para cultivar esta actitud te propongo unos ejercicios: • Si un problema tiene solución y está en tus manos, no te preocupes y ponte en marcha (un cliente solicita un artículo que ya no está disponible en la clínica, pero hay otros similares y de gran calidad, reorienta la venta hacia ese producto). Si por el contrario no está en tus manos, mantén la calma. Dejarte invadir por el estrés y la ansiedad no van a mejorar la situación. • Cuando se cierre una puerta, busca una ventana. Es difícil, pero si estás atento y consigues dominar tus emociones serás capaz de reflexionar para encontrarla. • Si te gusta subir montañas sabrás que no se alcanza la cumbre en dos pasos. En el trabajo ocurre lo mismo: si cada día das un paso tras otro con seguridad alcanzarás tus metas de uno u otro modo disfrutando del camino. • Aprende a reírte de ti mismo de las situaciones; así eliminarás tensiones y restarás importancia a los problemas.
• No temas al fracaso, además, lo que hoy parece trascendental al cabo de los meses habrá disminuido de importancia. Por ello es importante analizar cuanto sucede y poner soluciones. Si te caes, levántate rápido. • Cárgate de energía positiva, rodéate de gente alegre y haz algo que te guste de vez en cuando. Además debes saber que, según una encuesta realizada por la Universidad de Kansas (EE. UU.) y la empresa de demoscopia Gallup, los seres humanos son optimistas por naturaleza y ¡España es el quinto país más optimista del mundo!
¿Eres un profesional optimista?
Tal vez consideres que eres un vendedor optimista porque cuando tu jefe plantea como objetivo la venta de determinados productos para el mes empieces con un gran entusiasmo. Presentas el producto con ganas y les explicas sus virtudes a los clientes, respondes a sus dudas y les describes una y otra vez todas sus características, esperando hacer todas las ventas posibles. Además tienes don de gentes y generalmente caes bien. Te explicas con claridad e inspiras confianza. ¡Enhorabuena! Vas por muy buen camino. Pero ¿qué ocurre si no consigues tu objetivo? ¿Te rindes, te desilusionas y te desinflas como un balón de playa?
Si realmente eres optimista no te rendirás con facilidad ni te afectará seriamente el fracaso. Al contrario, lo aprovecharás para aprender qué es lo que no ha funcionado, lo comentarás con el veterinario para comprobar si hay algo que no hayas entendido o explicado bien y pondrás los medios para mejorar. Hay que hacer el esfuerzo de ver estas acciones infructuosas del trabajo como experimentos de aprendizaje de estrategias y no como esfuerzos que caen en saco roto. La principal diferencia es que plantearte así las cosas te dará fuerza y te permitirá sentirte mejor, de modo que retroalimentará tu bienestar. Un auxiliar optimista sabe distinguir las causas ajenas de una mala racha (como la crisis económica y pérdida de poder adquisitivo de los clientes) de las causas internas (tener un mal día o una metedura de pata), y asume su responsabilidad sin crearse un sentimiento de culpa. En cualquier caso debemos tomar las riendas y no dejarnos llevar. Siempre hay alguna manera de mejorar tus técnicas de ventas y limitar las objeciones del cliente, pero no debes tomar un “no” como un ataque personal. Acepta el rechazo cuando lo experimentes, pero elimínalo de tu mente antes de empezar a hablar con el próximo cliente. También puedes pedir ayuda a algún compañero o al jefe para mejorar tus tácticas de venta. Tal vez te falta profundizar en el producto en cuestión para defender mejor sus cualidades o bien definir un poco más el perfil de los clientes objetivo.
Relativiza los problemas y define estrategias concretas para resolverlos.
Para reflexionar
¿Qué haces cuando se te presenta un problema? ¿Qué actitud asumes frente a los fracasos o los obstáculos? ¿Qué haces cuando las cosas no te salen como quieres? ¿Visualizas metas y orientas tu esfuerzo para lograrlas? ¿Qué expresiones utilizas más frecuentemente: “lo voy a conseguir” o “nunca voy a lograrlo”?
Efectos de la negatividad vs positividad
Hoy en día sabemos a ciencia cierta que la actitud positiva y optimista de los seres humanos tiene un efecto directo y cuantificable en la salud de las personas, en su capacidad para recuperarse de enfermedades serias y graves, en la calidad de sus relaciones con sus semejantes, en el éxito o fracaso de proyectos profesionales y en el trabajo en general, en la política, en el deporte y en todas las facetas de la vida humana. Asimismo, conocemos los efectos desastrosos que tiene el pesimismo en nuestra vida: mal humor, hostilidad, estrés, ansiedad, constante preocupación... y además puede ser una epidemia contagiosa que debe evitarse a toda costa
art4all/shutterstock.com
en un equipo veterinario, ya que puede resultar devastador. Todos conocemos personas negativas que siempre tienen algo de lo que quejarse, algo que criticar, que siempre “ven la botella medio vacía” y ven complicado superar cualquier objetivo. Además encuentran fácilmente justificación a sus fracasos, a su indecisión y a sus temores. Por suerte también existen esas otras que destacan por su sonrisa ante la vida; siempre creen que es posible, buscan o crean soluciones. Estas triunfarán en lo que hagan y serán mucho más felices. Rodéate de este tipo de personas, notarás cómo mejora tu estado de ánimo. Hagamos caso al doctor Luis Rojas Marcos, autor de La fuerza del optimismo: hay que ser optimista porque “no se gana nada no haciéndolo”.
Haz marketing optimista
Hay una corriente que habla del marketing de las emociones. Ahora se lleva contar historias alegres y esperanzadoras. Casi nadie quiere escuchar fracasos, sino hazañas y logros, porque inspiran al éxito. Un ejemplo es el de las campañas de Coca-Cola, que van directas al corazón en lugar de al cerebro. El optimismo vende; es lo que algunos llaman el “marketing del buen rollo”. Algunas frases que acompañan a esta rama del marketing son: • “El no ya lo tienes, el sí tienes que buscarlo”. • “Las oportunidades pueden estar encima de la mesa”. • “Un vaso medio vacío es una oportunidad para vender limonada”. • “Las oportunidades están ahí fuera, ¡sal a por ellas!”.
La comunicación ayuda
Ante situaciones de incertidumbre como muchas que vivimos en estos tiempos, el éxito no pasa sólo por controlar el propio estado de ánimo, sino por mantener arriba el espíritu en el equipo de trabajo. Todos los miembros que lo forman valoran recibir una información clara y la transmisión de una visión a largo plazo. Para mantener al equipo unido y comprometido con la clínica veterinaria la comunicación debe ser dinámica y fluida. Sólo así se pueden afrontar los problemas que vayan surgiendo.
Ser más optimista
en 10 PASOS
1
2
3
4
5
6
7
8
9
Asume las dificultades como un reto.
Asume los obstáculos como un desafío inevitable.
Piensa que puedes resolver las contrariedades tarde o temprano. Relativiza su importancia y busca opciones.
Cambia tu actitud mental; tú eliges ver la botella medio llena o medio vacía.
Modifica tu lenguaje, evita usar palabras como “nunca”, “siempre”, “no puedo” o “no sé.
Aprende a decir “no”: evitarás problemas y a la larga te sentirás más seguro y mejor contigo mismo.
Utiliza la queja y el reproche solamente si mediante ellos puedes ganar algo.
Aléjate de las “personas tóxicas” que solo te aportarán problemas, amargura e infelicidad.
Relaciónate con personas entusiastas que te muestren sus fórmulas para afrontar las contrariedades cotidianas.
Demuestra gratitud por todo lo que te rodea, revalorízalo día tras día.
10
Si quieres aplicar el marketing optimista en tu lugar de trabajo debes lanzar mensajes con sentido del humor o que apelen a las emociones de tus clientes, de manera que despierten en ellos una sensación de serenidad y bienestar. Está estudiado que las personas optimistas viven más y ganan más dinero. Según Eduard Punset se debe a que “los optimistas piensan que sus negocios les van a ir bien, por lo que se sienten más motivados a trabajar, se esfuerzan más y acaban consiguiendo mayores éxitos profesionales y personales”. Ya que vemos que todo esto no trae otra cosa que beneficios. Os propongo que practiquemos el marketing optimista en nuestro lugar de trabajo porque utilizar la creatividad, la imaginación y pensar ideas positivas, además de ser gratis, mejorará nuestra salud.
Otitis externa
La otitis externa es la inflamación de alguna o de todas las estructuras que componen el oído externo.
Si el oído de un perro o de un gato no está sano pueden observarse los siguientes signos: ■ Coloraciones anómalas (eritema). ■ Engrosamiento de las paredes del canal auditivo. ■ Cerumen de color oscuro, secreciones, etc. ■ Mal olor. ■ Dolor o picor, lateralización de la cabeza y sacudida y rascado de la oreja.
Pabellón auricular
OÍDO EXTERNO

Eritema
Conducto auditivo externo vertical
Conducto auditivo externo horizontal
Membrana timpánica
Diferencias morfológicas del conducto auditivo externo entre el perro y el gato
Mal olor
Eritema
Exceso de exudado ótico
OÍDO MEDIO
OÍDO INTERNO
Laberinto
Cadena de huesecillos
Cóclea
Bulla timpánica
Perro Gato


La alimentación
en la diabetes felina
La diabetes es una enfermedad cada vez más frecuente entre los pacientes felinos. La dieta y el nivel de energía son factores críticos que se deben controlar para un buen manejo de la patología.
José Miguel Chapel y Cristina Castillo Departamento de Patología Animal, Facultad de Veterinaria de Lugo, Universidad de Santiago de Compostela En las últimas tres décadas la diabetes mellitus (DM) en gatos se ha incrementado hasta 10 veces. Actualmente es una de las enfermedades endocrinas más frecuentes, con una prevalencia variable entre 0,25 y 1 %. Existen diversos factores de riesgo en esta enfermedad: la edad (más frecuente en adultos a partir de 6-8 años, en especial, y con mayor incidencia, entre los 11 y 13); el sexo (más asiduo en machos); la esterilización y la obesidad (estos dos últimos factores suelen aparecer muy vinculados). Se ha descrito también una predisposición racial a la DM en los gatos de raza Birmana, aunque se desconocen los genes que pueden estar implicados. Existen diversos tipos de DM en gatos (tabla 1), siendo la más frecuente la diabetes mellitus tipo 2. Dentro de este grupo se encuentra la diabetes mellitus no insulinodependiente, en especial la que está asociada a animales obesos o sedentarios en los cuales se incrementa hasta cuatro veces el riesgo debido a una menor respuesta de los tejidos a la insulina. En la DM el control y las pautas alimentarias deben coordinarse con la administración de insulina, con el objetivo de reducir la hiperglucemia posprandial, optimizar el consumo de alimento y controlar el exceso de peso. En todos los casos es muy importante que el paciente mantenga un nivel constante de actividad física ya que sus variaciones influyen sobre la glucemia; por ello es fundamental concienciar al propietario acerca de ajustar la dosis de alimento y mejorar el control de la DM tipo 2. Cabe decir que una diabetes mal controlada o una enfermedad intercurrente puede causar un aumento o pérdida de peso que provocará la ineficacia del tratamiento que se está llevando a cabo. Como hemos señalado, la obesidad es un factor de riesgo que se debe controlar, sobre todo si el animal está esterilizado. Así que es importante que el propietario entienda que cualquier ganancia de peso por encima del óptimo incrementa el riesgo de padecer diabetes. En estos casos debemos recomendar dietas secas bajas o moderadas en niveles de grasa [25 % de las calorías totales (CT)] y moderadas en carbohidratos (35 % de las CT) que reducen la posibilidad de ganar peso. Además las dietas ricas en proteínas favorecen la pérdida de la grasa corporal, contribuyendo al objetivo propuesto. Por último, hasta la fecha no se ha descrito la diabetes gestacional en el gato como sí ocurre en el perro.
La importancia del manejo nutricional
El gato es un carnívoro estricto, sin embargo la mayoría de alimentos para esta especie contienen niveles elevados de carbohidratos sobre todo en forma de almidón [lo correcto sería no sobrepasar el 40 % de la materia seca (MS)]. Dado su metabolismo, forma glucosa a partir de los aminoácidos aunque el consumo de proteínas sea bajo y favorece la aparición de obesidad en este animal, con las consecuencias antes descritas. Los gatos diabéticos deben tener siempre a su disposición abundante agua para cubrir sus necesidades diarias ya que orinan más que un gato sano a causa de la diuresis osmótica causada por la glucosa, por lo que necesitarán beber más. En cuanto al alimento sólido, es común alimentar a los gatos con DM dos veces al día coincidiendo con la administración de la insulina. Si ésta solo se administrase una vez al
día la primera ración de alimento se daría con la insulina y la segunda de 8 a 10 horas después; además es beneficioso ofrecer un pequeño aperitivo entre ambas tomas. Si el animal tuviese un mal control glucémico, deberíamos distribuir el alimento en cuatro o más raciones para ayudar a mantener la glucemia dentro de un límite aceptable.
Requerimiento energético diario Para saber qué cantidad de alimento tenemos que dar a un gato diabético debemos calcular su requerimiento energético diario (RED), que variará en función del estado del paciente (gestante, estéril, en lactación, etc.). El RED nos permite administrar una correcta cantidad diaria de alimento y puede ayudar a alcanzar el peso corporal ideal en gatos con sobrepeso o caquécticos, como se puede ver en la tabla 2. En el caso de animales muy delgados puede ser necesaria una dieta con un porcentaje de fibra bruta (FB) inferior al 10 % para incrementar la densidad energética del alimento y lograr el aumento de peso. Es necesaria una reevaluación de estos pacientes al menos cada dos semanas para mantener un buen ajuste en la pauta de alimentación y la dosis de insulina. Si nuestro paciente es el caso contrario al descrito y necesita perder peso, deberemos evitar una pérdida rápida del mismo para no predisponer a una lipidosis hepática, siendo recomendable la pérdida semanal de entre el 0,5 al 1 % respecto al peso inicial.

Nataliia Dvukhimenna/shutterstock.com
Tabla 1. Tipos de diabetes mellitus en gatos.
Tipo de diabetes mellitus
Diabetes mellitus primaria
DM tipo 1
DM tipo 2
Infección/hiperadrenocorticismo/ hipertiroidismo
Diabetes mellitus secundarias causadas por
Pancreatitis o adenocarcinoma pancreático
Acromegalia
Inducida por fármacos: esteroides, corticoesteroides y progestágenos
Adaptado de Rand et al. (2004) y Pibot et al. (2009)
Frecuencia
Escasa
Al menos 90 % (entre el 85–95 %) de los casos
Alrededor del 10 % (1520 %) de los casos
Etiología
Destrucción autoinmunomediada de las células β del páncreas
Disfunción de las células β, insulinorresistencia y amiloidosis de los islotes pancreáticos (en gatos obesos o con inactividad física)
Insulinorresistencia
Destrucción de las células β
Efecto antagonista de la hormona del crecimiento (insulinorresistencia)
Insulinorresistencia
Tabla 2. Cálculo del requerimiento energético diario en felinos.
RER (requerimiento energético en reposo): (kcal/día) = 70 x Peso (kg)0,75 (kJ/día) = 293 x Peso (kg)0,75
Fuente: Hand et al. (2000)
Factor Requerimiento energético diario
x 1,2 Adulto castrado
x 1,4 Adulto
x 1,6 Adulto activo
x 1
x 0,8
x 1,2-1,4 Propenso a la obesidad
Para perder peso
Para ganar peso
Composición del alimento
En relación al tipo de alimento y su composición es importante que los alimentos para gatos diabéticos no contengan fructosa porque no son capaces de metabolizarla y en ocasiones, se provoca una intolerancia hacia la misma, poliuria y/o daño renal. Por ello, hay que tener cuidado con los alimentos húmedos que dentro de su composición pueden contener fructosa en forma de sucrosa. Además estas dietas junto con las semihúmedas, producen un efecto glucémico mayor que las secas debido a que contienen mayor cantidad de carbohidratos simples y otros ingredientes que se emplean como humectantes (por ejemplo, propilenglicol) y son poco recomendables en gatos diabéticos. Si nos centramos en la composición química, hasta hace poco el manejo dietético del gato diabético se basaba en dar una dieta alta en carbohidratos digestibles (≥ 30 % de las CT) y en fibras totales (≥ 50 g de fibras totales por cada 1.000 kcal). Pero esto ha ido cambiando y ahora se recomienda el uso de dietas bajas en carbohidratos (≤ 20 % de las CT; del 20-40 % de MS), altas en proteínas (≥ 45 % de las CT; entre el 28 y 45 % de MS), con un contenido moderado de grasas (≤ 30 % de las CT; < 20 % de MS), del 8 al 17 % de FB de MS y moderadamente energéticas (≤ 4.000 kcal/kg de MS).
La fibra Las fibras vegetales desempeñan un papel fundamental en la dieta del gato diabético porque retardan el vaciado gástrico y la absorción intestinal de glucosa, aumentan la sensibilidad de la insulina y mejoran el control del metabolismo de los nutrientes mediante las hormonas digestivas. La cantidad de fibra en la dieta de nuestros pacientes debe situarse entre el 8 y 17 % sobre la MS y si tenemos en cuenta la cantidad de calorías absorbidas, la dieta debe tener entre 25 y 30 g de fibra total por cada 1.000 kcal; debemos tener presente que como media las necesidades energéticas diarias en el gato son de 45 a 55 kcal/kg.
Los carbohidratos Influyen en el nivel de glucosa posprandial y la respuesta de la insulina. En gatos diabéticos
se debe mantener lo más bajo posible el pico de glucosa tras las comidas, por lo que es fundamental regular la concentración de carbohidratos de la ración, en especial del almidón. Altas cantidades de este (un 50 % de las CT) favorecen una mayor glucemia posprandial. Pero sobre esta también influyen otros factores como es la fuente de carbohidratos; por ejemplo el maíz o el arroz causan una mayor glucemia posprandial e insulinemia, además de disminuir la saciedad del animal, que comerá más alimento. No obstante, el papel del almidón así como el origen del mismo sigue siendo objeto de debate, ya que hay estudios que muestran efectos contrarios a los anteriormente descritos.
Las proteínas Se ha observado que las dietas altas en proteína (57 % sobre MS) favorecen la disminución de la glucemia posprandial porque existe una respuesta más prolongada de las células β del páncreas a los aminoácidos que a la glucosa, en especial a la arginina. Además se ha visto que estas dietas incrementan la tasa de remisión de diabetes, pero se debe tener cuidado en animales que presenten una alteración de la función renal y/o azotemia, ya que serían perjudiciales. En tal situación podemos emplear medicamentos como la acarbosa (inhibidor de la α-glucosidasa) que limiten la absorción de glúcidos a nivel gastrointestinal.
Las grasas Las dietas con concentraciones elevadas de ácidos grasos poliinsaturados omega-3 mejoran el control de la glucemia y disminuyen la insulinemia. No obstante los ácidos grasos saturados se consideran perjudiciales para el mantenimiento de unos niveles glucémicos adecuados.
Los minerales En todos los gatos diabéticos existe una mayor pérdida de electrolitos (calcio, fósforo, potasio, sodio y cloruro) por orina dada la diuresis osmótica antes señalada. En el caso de la cetoacidosis diabética la mitad de los gatos afectados presentan hipofosfatemia; por esta razón deberemos suplementar la dieta con fósforo, siempre y cuando no padezcan alguna enfermedad renal. Además, los gatos con DM pueden sufrir descensos en los valores de magnesio en sangre, así que es conveniente tener controlado este electrolito y, si fuese necesario, aumentar también sus niveles en la dieta.
Glosario
CETOACIDOSIS DIABÉTICA: es la deficiencia absoluta o casi absoluta de insulina en la sangre. DIABETES GESTACIONAL: es un elevado nivel de glucosa en la sangre de la hembra durante el embarazo. ENFERMEDAD INTERCURRENTE: enfermedad que se produce a la vez que otra enfermedad, y que puede afectar al curso de esta. GLUCEMIA POSPRANDIAL: hace referencia a las concentraciones de glucosa que hay en sangre después de comer.
Conclusión
En conclusión, la alimentación tiene un papel fundamental en el control de la diabetes. En el gato es importante el control de los carbohidratos y proteína de la dieta al ser un carnívoro estricto. Por este motivo y tras años de estudios, se ha determinado que los niveles de carbohidratos deben mantenerse bajos y debe haber un nivel adecuado de proteínas y fibra siempre y cuando el animal no presente otras patologías.
Bibliografía
• Hand, J.S.; Thatcher, C.D.; Remilland, R.L.;
Roudebush, P. (2000). Nutrición clínica en pequeños animales. 4ªed. Argentina: Inter-
Médica. • Pibot, P.; Biourge, V.; Elliot, D. (2009).
Enciclopedia de la nutrición felina. Ed.
Royal Canin. Disponible en: www.ivis.org/ advances/rcfeline_es/A5305.0110.ES.pdf?L • Rand, J.S.; Fleeman, L.M.; Farrow, H.A.;
Appleton, D.J.; Lederer, R. (2004). Canine and feline diabetes mellitus: nature or nurture? The Journal of Nutrition, 134(8 supl.): 2072S-2080S.


Aspectos básicos de la leishmaniosis canina
La leishmaniosis es una enfermedad muy grave que puede llegar a matar al perro si este no recibe tratamiento. Es importante conocer los aspectos básicos de esta patología para poder informar al propietario y aplicar las medidas de prevención adecuadas.
Soraya Blanco Jorge Auxiliar veterinaria Revisado por Germán Quintana Diez, DVM, MsC, PhD Centro Veterinario A Marosa, Lugo La leishmaniosis canina es una enfermedad parasitaria producida por un protozoo del género Leishmania que se multiplica dentro del sistema fagocitario mononuclear del animal. Afecta al perro (que se considera su principal reservorio) y con menor intensidad a cánidos salvajes, roedores (hámsteres, ratones) y en zonas de elevada incidencia también se pueden ver afectados otros mamíferos (gato, caballo...) y el hombre.
Epidemiología
La vía de transmisión habitual de la leishmaniosis canina es a través de la picadura de un flebótomo o mosca de las arenas portador del parásito ya que son hematófagos. Estos insectos pertenecen a una subfamilia de dípteros nematóceros de la familia Psychodidae. Su longitud es de aproximadamente 2,5 mm, son de color gris amarillento o amarillo pálido, el cuerpo es peludo y recuerda al de una polilla, las antenas largas y delgadas, la probóscide o trompa es más larga que la cabeza (figura 1). Tanto los perros sintomáticos como los asintomáticos son potenciales focos de transmisión de la enfermedad, pero los sintomáticos presentan una mayor capacidad infectiva. Aunque los flebótomos son los únicos vectores adaptados a la transmisión de la leishmaniosis, se han descrito otras vías de transmisión como la transplacentaria (vertical), venérea o por transfusiones de sangre y, de forma más reciente, se ha confirmado la existencia de este parásito en otros insectos (pulgas, garrapatas y piojos), si bien su papel en la transmisión de esta enfermedad no está claro.
La leishmaniosis es una enfermedad endémica en muchos países, entre los que se encuentran todos los de la cuenca mediterránea, Suramérica, Asia y África. En la zona mediterránea la leishmaniosis canina está causada por la misma especie que produce la patología en humanos, es decir, Leishmania infantum. El perro se considera el principal reservorio de la enfermedad, y por tanto la lucha contra la leishmaniosis canina (tratamiento de animales enfermos, diagnóstico precoz y prevención) se considera clave en el control de la leishmaniosis humana.
CDC/ Frank Collins El perro se considera el principal reservorio de la enfermedad, y por tanto la lucha contra la leishmaniosis canina se considera clave en el control de la leishmaniosis humana.

Los efectos del cambio climático
En el caso concreto de España es importante destacar que si bien hace unas décadas esta enfermedad era propia del área mediterránea, con los años a consecuencia del cambio climático y a que los vectores transmisores de la misma están presentes en todo el país, la enfermedad está ya presente en todo el territorio. Así, tal y como se ve en el mapa, la zona más septentrional presenta una baja incidencia; no obstante, zonas hasta hace poco libres de leishmaniosis o con una baja prevalencia, son a día de hoy, zonas endémicas, como por ejemplo zonas de Ourense y León.
4,1 %

35,6 % *
0 %
5,7 %
27,4 % 18,8 %
46,6 %
Patogenia
Cuando el parásito entra en el organismo infectado, los macrófagos fagocitan los promastigotes de Leishmania, los cuales inhiben el sistema de destrucción de microbios de los macrófagos permitiendo así su multiplicación en el interior de estas células del sistema inmunitario. Posteriormente, se transforman en amastigotes. Existen dos tipos de respuesta inmunitaria, la respuesta Th1 (mediada por células) y la Th2 o humoral (mediada por inmunoglobulinas). La respuesta humoral no resultará efectiva contra el parásito y da lugar a una enfermedad clínica manifiesta, por lo que estimular la inmunidad celular es importante en el control de la enfermedad, sobre todo en aquellos animales con el sistema inmunitario comprometido.
Síntomas
En medicina veterinaria llamamos a esta enfermedad “el gran imitador”, porque dependiendo del sistema afectado, las manifestaciones clínicas se parecerán a un gran número de enfermedades. Los signos más comúnmente observados son: • Problemas cutáneos (dermatitis descamativa, ulcerativa, papular, pustular o nodular). • Linfadenomegalia. • Uveítis. • Mucosas pálidas. • Anemia. • Atrofia muscular, intolerancia al esfuerzo. • Esplenomegalia. • Caquexia (pérdida de peso progresiva), estado nutricional pobre. • Fiebre. • Epistaxis. • Onicogriposis. Otros signos o síntomas menos habituales son: lesiones en mucosas, colitis crónica recurrente, meningitis, miositis o polimiositis atrófica del masetero, desórdenes autoinmunes, desórdenes
Extraído de La leishmaniosis canina tiene un 15,7% de seroprevalencia total en España, entrevista a Xavier Roura. Argos 141, septiembre 2012. p. 6.
13,2 %
Centro: 5,7 % Noreste: 13,2 % Este: 18,8 % Sureste: 46,6 % Sur: 27,4 % Noroeste: 4,1 % Norte: 0 % * Orense: 35,6 %
* Resultado obtenido en un estudio realizado por Miró et al. 2012.
cardiovasculares (pericarditis), vasculitis sistémica, tromboembolismo, síndrome de hiperviscosidad sérica, etc.
Diagnóstico
Es una enfermedad de difícil diagnóstico dada la amplia variedad y la falta de especificidad de sus signos clínicos. La forma más directa de diagnóstico es mediante la detección de formas parasitarias en muestras de tejido (biopsia cutánea, punción-aspiración de nódulos linfáticos, médula ósea, bazo, líquido sinovial, citologías conjuntivales...). Las técnicas IFAT, ELISA y DAT son esenciales para determinar la presencia de anticuerpos de Leishmania, ya que la mayor parte de los animales infectados y enfermos son seropositivos. Debe tenerse en cuenta que un resultado positivo en estas técnicas indica que el animal ha estado en contacto con el parásito, pero no quiere decir que necesariamente haya enfermado. La evaluación clínica del paciente y la evolución en sus niveles de anticuerpos nos permite determinar si la infección está activa y también la buena respuesta al tratamiento. En algunos casos pueden ser precisas pruebas como la PCR o pruebas inmunohistoquímicas, donde evidenciamos la presencia del parásito.
Tratamiento
El tratamiento de la leishmaniosis canina es complejo por varios motivos: • Los fármacos empleados son caros, más si cabe teniendo en cuenta que en gran parte de los animales se trata de un proceso crónico con recaídas que requerirán un control periódico y tratamientos recurrentes. • Muchos de los fármacos tienen efectos secundarios importantes. No hay cura parasitológica para la enfermedad, sólo podemos resolver los signos clínicos. Aunque en casos puntuales podemos conseguir la cura del proceso, no es una expectativa realista en la mayor parte de los pacientes, si bien hoy en día muchos de ellos pueden estar bien controlados.

Los fármacos usados en el tratamiento de la leishmaniosis canina son: • Leishmanicidas: antimoniales, miltefosina. • Leishmaniostáticos: alopurinol. • Inmunomoduladores: domperidona, nucleótidos.
Prevención
Este punto es básico en el control de la enfermedad. Hay que evitar que los insectos piquen a los animales portadores, tanto sintomáticos como sin sintomatología clínica evidente y también a los animales sanos no portadores. Entre las medidas que deben implantarse de forma conjunta en la prevención de la leishmaniosis canina se encuentran: • Empleo de repelentes eficaces contra flebótomos, revisando la duración del efecto de cara a un tratamiento continuado. Es importante destacar que la época de mayor actividad del flebótomo es de mayo a octubre, con picos en junio y septiembre, aunque puede aparecer antes si las condiciones climáticas son favorables. • Evitar zonas de alto riesgo, con un nivel elevado de humedad, como por ejemplo aguas estancadas. • Evitar momentos de mayor actividad del mosquito y así, dado que se trata de un insecto con actividad nocturna, se debe evitar o reducir la exposición del animal durante el amanecer y el ocaso, especialmente en zonas de riesgo. • Aumentar la resistencia al desarrollo de la enfermedad, para lo cual se pueden emplear productos que aumenten la respuesta inmunitaria celular (domperidona) o vacunas con el mismo fin, obteniendo el mejor resultado combinando ambas.
Glosario
AMASTIGOTE: la forma no flagelada e intracelular del desarrollo de los protozoos de Leishmania. ENDÉMICA: enfermedad que reina habitualmente, o en épocas fijas, en un país o comarca. INMUNOGLOBULINA: glucoproteína de elevado peso molecular que actúa como anticuerpo y tiene un papel esencial en la defensa del organismo. PREVALENCIA: en epidemiología, proporción de personas que sufren una enfermedad con respecto al total de la población en estudio. PROMASTIGOTE: etapa flagelada que se encuentra en el insecto huésped intermedio de parásitos de Leishmania. SISTEMA FAGOCITARIO MONONUCLEAR: sistema formado por las células derivadas de los precursores monocíticos de la médula ósea, los monocitos de la sangre periférica y por los macrófagos o histiocitos de los tejidos y órganos. Participa en la defensa del organismo ante las infecciones y en la eliminación de los productos resultantes de la degradación celular.
Bibliografía
• Colombo FA y col. Detection of Leishmania (Leishmania) infantum RNA in fleas and ticks collected from naturally infected dogs.
Parasitol Res. 2011. 109(2):267-274. • De Morais RC y col. Detection of Leishmania infantum in animals and their ectoparasites by conventional PCR and real time PCR.
Exp Appl Acarol. 2013. 59(4):473-481. • Gómez-Ochoa P y col. Use of domperidone in the treatment of canine visceral leishmaniasis: a clinical trial. Vet J. 2009. 179(2):259-263. • Sabaté D y col. A single-centre, open-label, controlled, randomized clinical trial to assess the preventive efficacy of a domperidonebased treatment programme against clinical canine leishmaniasis in a high prevalence area. Prev Vet Med. 2014. 115(1-2):56-63. • Solano y col. Leishmaniosis: una revisión actualizada. Ed. Servet. 2013.
v24 LA CLÍNICA DÍA A DÍA PASO A PASO Extracción de sangre
1 2

3 4


El análisis de sangre permite conocer los elementos habituales que componen dicho tejido así como determinar la existencia de elementos y sustancias patógenas. Igualmente, permite diagnosticar ciertas patologías, realizar un seguimiento de las mismas y comprobar el efecto que está teniendo el tratamiento aplicado. A continuación explicaremos paso a paso cómo se realiza esta técnica.
1 Utensilios necesarios para una extracción de sangre.
Tubo rojo: sin anticoagulante; se utiliza la sangre entera para realizar hemogramas.
Tubo verde: heparina; es una sustancia natural que interfiere con el proceso de la coagulación sanguínea y se usa para extraer el suero de la sangre por medio de una centrífuga a 5.000 rpm.
Goma: se pone alrededor de la pata y sirve para comprimir la vena.
Alcohol: se necesita para desinfectar la zona. 2 El perro debe estar lo más tranquilo posible para evitar los cambios fisiológicos que estas situaciones provocan.
Un auxiliar le sujeta el cuello y la cabeza con una mano y con la otra estira el antebrazo del paciente. 3 Se coloca una goma sobre la articulación del codo para interrumpir el retorno venoso y marcar la vena. 4 Con la goma colocada se procede a la limpieza con alcohol de la zona en la que se va a hacer la punción.

El análisis de sangre es una de las principales herramientas que tiene el veterinario para realizar estudios analíticos de tipo hematológico, bioquímico y microbiológico.
5
María Villagrasa • Ateuves • Imágenes cedidas por Carolina García Blanco
6

5 La punción se realiza introduciendo la aguja en un ángulo de unos 45º sobre la vena cefálica. 6 Se recoge la muestra y se deposita rápidamente en los tubos específicos para su transporte al laboratorio.

Recuerda que:
La aguja y la jeringa utilizadas dependerán de varios factores. El tamaño de la jeringa dependerá del volumen de sangre que se tenga que extraer y de la vena que hayamos seleccionado. Si se necesita obtener un gran volumen de sangre, no conviene utilizar agujas de calibre pequeño. Es posible que al utilizar agujas de bajo calibre acopladas a jeringas de alto volumen produzca hemólisis de la muestra, por lo que hay que ser muy cuidadosos en este aspecto.
Tubos para la obtención de las muestras en animales
Color del tapón Anticoagulante Análisis Material
Lila
Amarillo
Azul
Rojo
Verde EDTA Hematología Vidrio o plástico
Gel separador con activador de coágulo Serología y bioquímica Vidrio o plástico Citrato
Sin anticoagulante Coagulación Vidrio o plástico
Serología y bioquímica Vidrio o plástico
Heparina Serología y bioquímica Vidrio
Blanco Fluorato de sodio y EDTA Bioquímica Vidrio o plástico
Para saber si has introducido correctamente la jeringa en la vena, una pequeña cantidad de sangre debe entrar en la punta de la jeringa.
Citología general
La interpretación citológica es una herramienta básica en el diagnóstico de ciertas patologías. Por lo tanto es importante disponer de un gran número de imágenes para poder comparar e interpretar lo que se está viendo.
Artículo extraído y adaptado de la obra de Cristina Fernández Algarra Autoevaluación citológica en pequeños animales Editorial Servet, 2014 Tel.: 976 461 480 tiendapv@grupoasis.com http://tienda.portalveterinaria.com El libro Autoevaluación citológica en pequeños animales es eminentemente práctico ya que gracias a su planteamiento en forma de preguntas, hace que el lector ponga a prueba sus conocimientos sobre interpretación citológica. En este extracto hemos adaptado el primer capítulo sobre los aspectos básicos de Citología general.
Requisitos necesarios para realizar un estudio citológico Los objetivos necesarios para poder realizar un buen estudio citológico son la obtención de una adecuada celularidad; la integridad de las células exfoliadas, conservando sus estructuras nucleares y citoplasmáticas; la obtención de células en monocapa, evitando el solapamiento entre sí que impediría describir sus características; y un adecuado protocolo de tinción.
Técnicas de toma de muestras en citología, indicaciones Las principales técnicas de toma de muestras en citología son la punción con aspiración con aguja fina (PAAF o PAF), el raspado cutáneo, la impronta y el hisopado, además de los frotis sanguíneos y el squash. • La PAAF está indicada para analizar cualquier nódulo o masa tanto cutánea como detectada en órganos internos, extracción de sangre circulante o de cavidades internas (abdominal, torácica, pericárdica, vejiga), líquido sinovial en articulaciones y humor acuoso en estructuras internas oculares. Las jeringas utilizadas varían entre 5 ml y 10 ml, esta última se emplea para
PAAF de médula ósea y grandes volúmenes de líquidos. La aguja oscila entre 20-25 G dependiendo del tejido (figura 1), siendo mayor para estructuras más delicadas, fundamentalmente en oftalmología. Se realizan varios aspirados de la zona en distintas direcciones, liberando la presión ejercida sobre el émbolo entre aspirado y aspirado (figura 2). Una vez terminados los aspirados y antes de sacar la aguja, se libera primero la presión sobre el émbolo de la jeringa y posteriormente, se retiran jeringa y aguja juntas (figura 3). Seguidamente, para expulsar la muestra sobre el portaobjetos, se quita la aguja y se carga la jeringa con aire, se coloca de nuevo la aguja y se expele el contenido sobre el portaobjetos repitiendo esta operación varias veces. Las gotitas obtenidas se extienden con la técnica del squash o haciendo un frotis, si el volumen es menos denso. • Los raspados se realizan con una aguja de bisturí sobre superficies y lesiones cutáneas, añadiendo parafina al filo de la hoja. También se realizan en nódulos o tumores después de su eliminación por cirugía. El material recogido se deposita sobre un portaobjetos extendiéndolo en una fina capa a lo largo del mismo.
Amarilla: 20 G Verde: 21 G Azul: 23 G Naranja: 25 G


Figura 1. Agujas de diferente calibre. Figura 2. Aspirado de muestra para realizar una PAAF. Figura 3. Antes de extraer la jeringa, debe liberarse la presión del émbolo.


Figura 4. Realización de una impronta.
• En el caso de improntas, se coloca el portaobjetos sobre la superficie a estudiar. Previamente es importante rasurar la zona para eliminar el pelo, y en superficies ulceradas se debe limpiar esta área con agua jabonosa y secar con papel absorbente, eliminando detritus y suciedad superficial que interfiere en el estudio celular. También se emplea sobre nódulos y tumores, después de su exéresis quirúrgica, haciendo un corte y dejando libre una superficie lisa sobre la cual se realiza la impronta, eliminando antes el exceso de sangre que pueda aparecer (figura 4). La cantidad de células exfoliadas es menor que la obtenida con las otras técnicas. • Los hisopados se emplean en citologías vaginales, oídos y en superficies de difícil acceso: fístulas, mucosa bucal, región interdigital. Se contacta el hisopo con la zona a estudiar para impregnarlo de células y después se rueda suavemente sobre la superficie del portaobjetos (figura 5), repitiendo esta operación varias veces.
Diferencia entre frotis y squash La utilización de una u otra técnica depende de la densidad de la muestra obtenida, así para las muestras de sangre y de menor celularidad se emplea el frotis y para las de mayor densidad con mayor celularidad, el squash (PAAF de masas y nódulos, médula ósea, ganglios, etc.). La diferencia entre una técnica y otra, radica en el posicionamiento de los portaobjetos utilizados. Para realizar los frotis se deja una pequeña cantidad de muestra en un extremo del portaobjetos y con otro, formando un ángulo aproximado de 45º, se acerca al borde de la muestra y por capilaridad se extiende por el borde del mismo; en esta posición se desliza un portaobjetos sobre otro, dejando una extensión en monocapa y con forma de bala (figuras 6, 7 y 8). En la técnica del squash se coloca un portaobjetos sobre otro con los ejes longitudinales perpendiculares entre sí y coincidiendo con la zona de la

Figura 5. La muestra se extiende sobre el portaobjetos suavemente con el hisopo.

Figura 6. Las muestras de sangre, de reducido tamaño y con menor celularidad se extienden mediante frotis.

Figura 7. La muestra se extiende por el borde del portaobjetos y en esta posición se desliza, dejando una monocapa de células.

Figura 8. En el frotis, la extensión tiene forma de bala.

Figura 9. Disposición de los portaobjetos en la técnica de squash.

Figura 10. Imagen citológica.
Figura 11.
Figura 12. Figura 13. Muestra de líquido ascítico centrifugada. Pueden apreciarse dos fases, el sobrenadante acelular y el sedimento.



Figura 14. Colonia de Epidermophyton sp. Figura 15. Cultivo fúngico in vitro. muestra, después se desliza el portaobjetos superior sobre el inferior obteniendo una extensión en monocapa (figura 9).
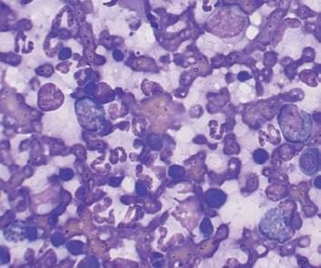
En la figura 10 obtenida de una citología ¿qué fallos puedes presuponer? Solapamiento celular y exceso de colorante en la tinción. Para poder estudiar una preparación citológica es fundamental obtener una extensión en monocapa para evitar el solapamiento de las células, y así poder examinar las características de las estructuras nucleares y citoplasmáticas. Por otro lado, un tiempo de tinción superior al adecuado es causa de una tinción intensa que impide distinguir las estructuras celulares, aunque estas se encuentren íntegras y exista una adecuada celularidad.
¿A qué estirpe celular corresponden las células de las figuras 11 y 12? ¿Qué tipo de tinción se ha empleado y por qué? Son reticulocitos y se ha empleado tinción de nuevo azul de metileno (NAM) para diferenciar los restos de cromatina nuclear y determinar la respuesta regenerativa medular. La tinción de NAM es específica para teñir el remanente de cromatina nuclear (basófilo) de los reticulocitos que circulan en la sangre. Este remanente se observa formando una retícula o como un punteado localizado en el interior de los reticulocitos. En función del número de reticulocitos presentes en la muestra obtenida, se determina el grado de respuesta eritroide medular en las anemias.
En un aspirado abdominal se obtiene una muestra líquida de 5 ml de volumen. ¿Qué procedimiento aplicarías para estudiar las células? Centrifugar la muestra, eliminar el sobrenadante, pipetear una gota del sedimento, realizar una extensión en un portaobjetos, fijar, teñir y examinar al microscopio. El estudio celular de las muestras líquidas debe hacerse a partir del sedimento obtenido después de su centrifugado y una vez eliminado el sobrenadante acelular. Este pequeño volumen líquido es la fracción activa donde se concentran las células representativas de la muestra, que se estudia-

rán siguiendo el procesado habitual de fijación y tinción (figura 13).
En las figuras 14 y 15 de colonias fúngicas ¿qué error destacarías en el procedimiento? Ausencia de identificación; mala delimitación y solapamiento de las colonias; e inadecuado manejo y obtención de la muestra, y solapamiento de las colonias apreciable en la figura 14. Es fundamental evitar la inhibición por contacto de las colonias fúngicas. Para ello, las muestras deben colocarse equidistantes entre sí y formando un triángulo equilátero. Por otra parte, la identificación (fecha y nombre) es imprescindible para determinar la antigüedad de la muestra y establecer un resultado negativo ante la ausencia de crecimiento fúngico en el periodo de tiempo adecuado.
El objetivo de inmersión ¿qué aumentos aporta?, ¿por qué se denomina así?, ¿cuándo se debe utilizar? Con el objetivo de inmersión (100x) se consigue ampliar la imagen 1.000 veces (figura 16). Esto es así porque la lente del binocular, a través de la cual se observan las preparaciones, tiene un aumento de 10x (figura 17), por lo tanto, la multiplicación de ambos, lente y objetivo, supone un incremento de la imagen de 1.000 veces su tamaño original. Para mirar a través del objetivo de 100x, y a diferencia del resto de los objetivos, se utiliza aceite de inmersión, de ahí esta denominación. Para aplicar dicho aceite de inmersión, se coloca previamente un cubreobjetos sobre la muestra (en el portaobjetos) y se deposita una pequeña gota de aceite de inmersión que contactará directamente con la lente del objetivo 100x. Se aconseja pegar el cubreobjetos al portaobjetos con pegamento de montaje para microscopios. El objetivo de inmersión se debe utilizar al final de un estudio microscópico y siempre para examinar pequeños detalles de estructuras intracelulares (figura 18A y 18B), así como para poder diferenciar pequeñas estructuras libres en el fondo de las muestras (p. ej.: agentes infecciosos, amastigotes de Leishmania spp., etc.). No debe utilizarse de forma sistemática o rutinaria para estudiar el resto de las preparaciones, ya que en muchas ocasiones, no resulta necesario ni práctico. A



B
Figura 16. Objetivo de inmersión (100x).
Figura 17. El binocular posee una lente de 10 aumentos (10x).
Figura 18. A. Imagen citológica de una muestra obtenida de médula ósea. B. Detalle de la granulación en un precursor basófilo 100x.