DENTAL PRÓTESIS Nº222

Page 1


REPORTAJE TÉCNICO

- VITABLOCS como material de laboratorio validado:

- Premios Gaceta Dental 2024

- VITA VIONIC DENT DISC: El siguiente nivel de la prótesis

IDS 2025 contará con unos 2.000 expositores

Edita: Consejo General de Colegios de Protésicos Dentales de España

Bulevar de José Prat 5, 28032 Madrid Tel.: +34 91 571 05 84 www.consejoprotesicosdentales.org | info@consejoprotesicosdentales.org

dental PRÓTESIS no se identifica, necesariamente, con las opiniones manifestadas en sus páginas, así como de la información contenida en los anuncios publicitarios.

Si eres colegiado y deseas recibir la revista por correo postal, puedes enviar un email solicitándolo a: dentalprotesis@consejoprotesicosdentales.org

dEfEnsa ProfEsional: consultas a través del correo: dentalprotesis@consejoprotesicosdentales.org anuncios brEvEs: dentalprotesis@consejoprotesicosdentales.org

dirEcción dE la rEvista: Felicia Novalbos

comisión dE la rEvista: Pablo Tortosa Tortosa, Alejandro Díaz Pérez

ImprIme: Editorial MIC, Tel. 902 271 902 | www.editorialmic.com

Depósito legal: M-70-1983

ISSN: 0212-3738

dental PRÓTESIS

REPORTAJE TÉCNICO

VITABLOCS como material de laboratorio validado: Como esmalte natural salido del equipo de fresado

La tecnología ha avanzado mucho desde que VITABLOCS, el primer material CAD/CAM dental del mundo, llegara al mercado hace más de 35 años. La potencia de cálculo de los procesadores se ha incrementado sustancialmente, el software CAD posibilita diseños cada vez más precisos y el software CAM, en combinación con máquinas CNC de 5 ejes, proporciona resultados de desbastado y fresado cada vez más precisos. Todavía hoy en día, la ciencia considera a menudo que los VITABLOCS para restauraciones individuales en el flujo de trabajo digital constituyen el estándar de oro.1 Así lo corroboran no solo un gran número de estudios clínicos 2, 3, 4, 5 y estudios de laboratorio, 6, 7, 8, 9 sino también la venta de más de 30 millones de piezas en bruto de VITABLOCS a clientes de todo el mundo.

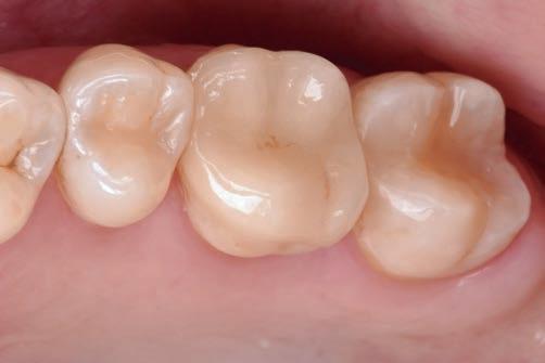
Situación de partida con preparaciones en los dientes 16, 17 y 26.

Situación de partida frente al resultado final

Una fórmula acreditada se alía con una tecnología avanzada

En el siguiente artículo de Norbert Wichnalek, Lukas Wichnalek, Arbnor Saraci y Patricia Strimb (todos ellos de HIGHFIELD.DESIGN – Zahntechnik Wichnalek, Augsburgo, Alemania), la variante de material policroma acreditada clínicamente VITABLOCS TriLuxe forte se alía con la avanzada tecnología CAD/CAM del laboratorio dental. En el marco del tratamiento, mediante una corona completa y dos restauraciones parciales en el grupo posterior, los bloques de cerámica de feldespato debían demostrar de qué son capaces. Los aspectos prioritarios fueron la eficiencia, la precisión y la estética natural.

El caso clínico habitual

En una paciente se diagnosticaron defectos extensos en el grupo posterior superior, en los dientes 16, 17 y 26. Tras la retirada de las obturaciones antiguas y la eliminación de la caries secundaria, debido a la extensión de los defectos se hizo patente que solo podría lograrse una estabilización a largo plazo utilizando restauraciones indirectas. Tras la colocación de obturaciones de reconstrucción de composite, se planificaron una corona en el diente 16 y sendas coronas parciales en los dientes 17 y 26, a partir de la cerámica de feldespato VITABLOCS TriLuxe forte. En la siguiente sesión se llevaron a cabo las preparaciones, se escaneó intraoralmente la situación (itero, Align Technology, Tempe, Arizona, EE. UU.) y se envió el conjunto de datos al laboratorio.

Vista craneal de las restauraciones colocadas.
Arbnor Saraci
Lukas Wichnalek
Norbert Wichnalek Patricia Strimb

Fórmula de éxito: flujo de trabajo validado

Para obtener resultados de fresado precisos, dimensionalmente fieles y eficientes, es necesario que los softwares CAD y CAM, el equipo de fresado, las herramientas y la estrategia de fresado conformen un conjunto armonioso. Por lo tanto, debe probarse con antelación la combinación perfecta, en el paso denominado validación. Los fabricantes de materiales, software y máquinas colaboran en la búsqueda de esta fórmula de éxito. Se aseguran de que el software CAM utilizado pueda impartir órdenes de control

exactas a la máquina sobre con qué herramientas, cuándo, cómo y en qué orden se debe trabajar para obtener un resultado de fresado óptimo con el menor desgaste de los instrumentos y en el menor tiempo posible. El fabricante del material comprueba los resultados de fresado del socio de tecnología hasta encontrar el proceso de confección óptimo. Los requisitos de equipamiento y software pueden consultarse al socio de sistemas CAD/CAM respectivo.

Estrategia de fresado de eficacia probada

En este caso, por consiguiente, la máquina imes-icore CORiTEC 350i PRO debe recibir órdenes de control precisas por parte del software CAM CORiTEC iCAM V5 smart (ambos de imes-icore, Eiterfeld, Alemania) para ejecutar acciones con el número de revoluciones y la velocidad de avance adecuados en los distintos pasos de mecanizado de la pieza en bruto. Sin embargo, esto se traduce únicamente en una velocidad de fresado definida. Para cada paso de trabajo para una restauración, también deben estar definidos la profundidad de penetración, el ángulo y el patrón de movimiento de la trayectoria de fresado de una determinada geometría o tamaño de grano de la herramienta. Cuanto más juntas entre sí discurran las trayectorias de fresado, más lisa quedará la superficie de la pieza de trabajo.

Fig. 2: Sobre la base del escaneo intraoral, se creó el modelo virtual en el software exocad.
Fig. 3: Comprobación funcional en el articulador virtual del software exocad.
Fig. 4: La oclusión dinámica en laterotrusión hacia la derecha.

dental PRÓTESIS

Procesos controlados

La denominada profundidad de aproximación determina la cantidad de material que se elimina mediante un giro de la herramienta y la profundidad a la que la herramienta penetra en el material. A este respecto, se aplica lo siguiente: cuanto mayor sea la profundidad de aproximación, mayor será la carga de flexión que deberá soportar el instrumento. Así pues, se trata de alcanzar un equilibrio entre el ahorro de tiempo y la carga sobre el instrumento. La geometría se somete primero a un fresado previo aproximado, denominado desbaste. En este paso se trabaja de forma sobredimensionada utilizando herramientas de grano grueso. Las dimensiones finales se obtienen mediante

el proceso de alisado con herramientas de grano más fino. Aquí puede consultarse la información para un flujo de trabajo digital validado:

1. Compatibilidad de sistemas: El fabricante de materiales VITA Zahnfabrik ofrece en su sitio web (www. vita-zahnfabrik.com), tras haber seleccionado allí el material correspondiente, la pestaña Compatibilidad de sistemas, donde consta el equipo que se utilizó para validar el mecanizado de la pieza en bruto.

2. Recomendación de mecanizado: Si el usuario utiliza un sistema CAD/CAM abierto en cuyo software CAM no esté almacenada ninguna plantilla de mecanizado específica del material, en el apartado Instrucciones de uso en la pestaña Descargas se puede descargar una recomendación de mecanizado para el material en cuestión. En ella se indican herramientas recomendadas específicamente para el material, parámetros de mecanizado y trayectorias de herramientas, entre otras cosas.

3. Estrategia genérica: Si no se desea introducir manualmente cada paso de la estrategia de fresado, como “plan de emergencia” también es siempre posible seleccionar simplemente una estrategia genérica en el software CAM. En este proceso, la elección de la pieza en bruto no es específica del producto, sino que se refiere únicamente a una clase de material (p. ej., disilicato de litio, cera, etc.). Sin embargo, debe tenerse en cuenta que las estrategias genéricas no suelen arrojar el mejor resultado.

Fig. 6: VITABLOCS TriLuxe forte ofrece una transición cromática natural…
Fig. 7: … y, ya como bloque, unas propiedades ópticas similares a las del diente natural.
Fig. 5: La oclusión dinámica en laterotrusión hacia la izquierda.

dental PRÓTESIS

REPORTAJE TÉCNICO

La estrategia de fresado validada con los correspondientes instrumentos de fresado CORiTEC grinding tools glass ceramics con diámetro de 2,5/6,0 mm, 1,0/6,0 mm y 0,6/6,0 mm conical estaba almacenada en el software CAM CORiTEC iCAM V5 smart (imes-icore, Eiterfeld, Alemania) y estaba disponible al seleccionar la pieza en bruto del material. Después se procedió al anidamiento de los diseños en las piezas en bruto de VITABLOCS TriLuxe forte. A continuación, se fijaron las tres piezas en bruto en el soporte de bloque del equipo de fresado imes-icore

8: Para el equipo de fresado imes-icore CORiTEC 350i PRO se dispone de soportes de bloque para tres o seis piezas en bruto. Fórmula de éxito fiable

CORiTEC 350i PRO y se ejecutó la tarea de fresado. La fresadora necesitó, en promedio, tan solo unos 18 minutos para cada restauración. A su vez, el desgaste de las herramientas se situó en aproximadamente 3,50 euros por cada restauración. Naturalmente, los diámetros mayores fueron sometidos a mayor esfuerzo debido al uso más prolongado, mientras que la carga sobre los diámetros menores disminuyó progresivamente, lo cual se traduce en diferencias en la vida útil. La estrategia de fresado validada demostró ser acertada desde el primer momento, y proporcionó unas restauraciones con una precisión absoluta y sumamente estéticas ya en estado monolítico.

Fig.
Fig. 9: Los instrumentos de fresado validados CORiTEC grinding tools glass ceramics en los diferentes diámetros y geometrías.
Fig. 10: Mediante la estrategia de fresado validada, en un tiempo mínimo…
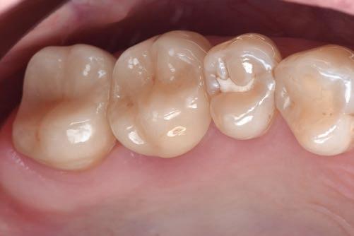
Fig. 11: … se crearon restauraciones absolutamente precisas y de aspecto natural.

12: El resultado de fresado impecable y la elevada estabilidad de los ángulos de una restauración parcial.

Acabado y colocación

Después de la separación e igualación del vástago de fresado, se procedió al acabado de las restauraciones utilizando fresas de diamante finas y se alisaron mediante pulidores de goma. En este caso, se llevó a cabo además una ligera caracterización con VITA AKZENT PLUS CHROMA STAINS B (rojizo-amarillento) en la zona cervical para dotarla de un aspecto algo más cálido. En las puntas de las cúspides se creó un efecto translúcido mediante los EFFECT STAINS 12 (azul grisáceo). Se resaltaron de forma generalizada las crestas marginales oclusales

salido del equipo de fresado,

forte presentaba un aspecto de esmalte natural.

con EFFECT STAINS 01 (blanco) y se imitaron calcificaciones localizadas mediante EFFECT STAINS 02 (crema). Por último, se obtuvo un grado de brillo uniforme mediante VITA AKZENT Plus GLAZE LT. El pulido de alto brillo se llevó a cabo con la pasta de pulido de diamante VITA Polish Cera, disco de cuero y cepillo de pelo de cabra. Durante la colocación completamente adhesiva se constató un ajuste preciso de las restauraciones de cerámica de feldespato, que gracias a su pronunciado efecto camaleón y al efecto cromático natural armonizaban estéticamente con la sustancia dental dura.

Fig.
Fig. 13: Recién
VITABLOCS TriLuxe
Fig. 14: Mediante el sistema de maquillajes VITA AKZENT Plus se llevaron a cabo caracterizaciones mínimas.
Fig. 15: Incluso fuera de la boca, las tres restauraciones presentaban un aspecto natural.

dental PRÓTESIS

REPORTAJE TÉCNICO

Conclusión

Es necesario reescribir la historia de VITABLOCS. Se ha desmentido de manera concluyente la errónea creencia, consolidada a lo largo del tiempo, de que se trata tan solo de un material CEREC. En el caso presentado, mediante una estrategia de fresado validada se puso rápidamente de manifiesto que las piezas en bruto de cerámica de feldespato constituyen, desde hace ya mucho tiempo, un verdadero valor añadido para la gama de cualquier laboratorio. La fórmula cerámica, la fidelidad cromática al estándar de colores

de VITA y la transición cromática natural se traducen ya de entrada en el color correcto y en un efecto similar al del diente natural.10 Los soportes de bloque permiten mecanizar hasta seis bloques simultáneamente en el imes-icore CORiTEC 350i PRO, lo que garantiza el aprovechamiento del equipo de fresado. En un tiempo mínimo, mediante el flujo de trabajo digital se habían creado restauraciones de dientes individuales absolutamente precisas, rentables y altamente estéticas, que aportan un interesante valor añadido para cualquier laboratorio.

Fig. 16: En la perspectiva macro se hace visible la morfología superficial fina.
Fig. 17: Las restauraciones, durante la esterilización por plasma tras la confección.
Fig. 18: Las restauraciones selladas herméticamente, listas para la entrega.
Fig. 19: La colocación totalmente adhesiva se llevó a cabo con el VITA ADIVA FULL-ADHESIVE SET.

REPORTAJE TÉCNICO

Fig. 20: Las cerámicas se grabaron con VITA ADIVA CERA-ETCH en las superficies de adhesión.
Fig. 21: Para la colocación se utilizó el composite de fijación VITA ADIVA F-CEM A2 Universal.
Fig. 22: Vista craneal de las restauraciones colocadas.
Fig. 23: Vista palatina de la corona y la corona parcial de cerámica de feldespato.
Fig. 24: Las restauraciones en los dientes 16 y 17 se integraron perfectamente en la sustancia dental dura.
Fig. 25: Vista palatina de la restauración parcial a partir de VITABLOCS TriLuxe forte en el diente 26.

dental PRÓTESIS

REPORTAJE TÉCNICO

Fig. 26: Transición armoniosa entre la restauración y el diente en la restauración parcial 26.

1. Labban N, Al Amri MD, Alnafaiy SM, Alhijji SM, Alenizy MA, Iskandar M, Feitosa S. Influence of Toothbrush Abrasion and Surface Treatments on Roughness and Gloss of Polymer-Infiltrated Ceramics. Polymers (Basel) 2021 Oct 27; 13(21): 3694.

2. Otto T, Mörmann WH. Clinical performance of chairside CAD/CAM feldspathic ceramic posterior shoulder crowns and endocrowns up to 12 years. Int J Comput Dent 2015; 18(2): 147-61.

3. Morimoto S, Rebello de Sampaio FB, Braga MM, Sesma N, Özcan M. Survival Rate of Resin and Ceramic Inlays, Onlays, and Overlays: A Systematic Review and Meta-Analysis. J Dent Res 2016 Aug; 95(9): 985-94.

4. Otto T. Up to 27-years clinical long-term results of chairside Cerec 1 CAD/CAM inlays and onlays. Int J Comput Dent 2017; 20(3): 315-329.

5. Bindl A, Richter B, Mörmann WH. Survival of ceramic computer-aided design/manufacturing crowns bonded to preparations with reduced macroretention geometry. Int J Prosthodont 2005 May-Jun; 18(3): 219-24.

6. Al Hamad KQ, Al-Rashdan RB, Al-Rashdan BA, Baba NZ. Effect of Milling Protocols on Trueness and Precision of Ceramic Crowns. J Prosthodont 2020 Aug 28. doi: 10.1111/jopr.13245. Online ahead of print.

7. Aldosari LI, Alshadidi AA, Porwal A, Al Ahmari NM, Al Moaleem MM, Suhluli AM, Shariff M, Shami AO. Surface roughness and color measurements of glazed or polished hybrid, feldspathic, and Zirconia CAD/CAM restorative materials after hot and cold coffee immersion. BMC Oral Health 2021 Aug 30; 21(1): 422.

8. Calheiros-Lobo MJ, Vieira T, Carbas R, da Silva LFM, Pinho T. Effectiveness of Self-Adhesive Resin Luting Cement in CAD-CAM Blocks-A Systematic Review and Meta-

9. Analysis. Materials (Basel). 2023 Apr 10;16(8): 2996.

10. Adawi HA, Al Mialeem MM, Al Ahmari NM, Shariff M, Qahhar MA, Muharraq SMH, Alghazali NA. Assessment of Color Stainability of Computer-Aided Design and Computer-Aided Manufacturing (CAD/CAM) Ceramic Materials After Hot and Cold Coffee Immersion at Different Time Intervals. Med Sci Monit 2021 Oct 3; 27: e932745.

Fuente: VITA

dental PRÓTESIS

NOTICIAS

Premios Gaceta Dental 2024

El pasado 19 de septiembre, futuras promesas del sector, profesionales, representantes de colegios y asociaciones profesionales y perfiles del mundo académico y del ámbito empresarial, se reunieron en la Real Fábrica de Tapices de Madrid para celebrar los Premios Gaceta Dental 2024.

Los Premios Gaceta Dental, con 27 años de trayectoria, han conseguido un reconocimiento importante dentro de la comunidad odontológica. Recibir uno de estos premios se convierte en un estímulo clave tanto para los expertos con amplia experiencia como para los estudiantes que están a punto de iniciar su carrera en el sector. En esta 27ª edición de los premios, 60 empresas respaldaron y valoraron el trabajo de estudiantes y profesionales.

Ganadores de los 27 Premios Gaceta Dental

Los premios, referencia indiscutible del sector odontológico y cuyo propósito es reconocer públicamente la actividad de los profesionales del ámbito dental en sus diferentes disciplinas, contaron este año con doce categorías divididas en cuatro bloques: Profesionales; Estudiantes; Innovación y Gestión; y Sociedad y Cultura. Los ganadores de cada una de las categorías han sido:

Mejor Talento en Prótesis Dental: Gabriela Zapata Solórzano, alumna del centro de formación Folguera Vicent de Valencia, por el trabajo “Caracterización Dental. Desarrollo y Avances en Técnicas de Personalización de Prótesis”.

Mejor Caso Clínico, patrocinado por Ivoclar: Dr. Néstor Montesdeoca García, por el trabajo “El papel de los implantes subperiósticos en

la reconstrucción del maxilar superior”. El trabajo galardonado, y bajo el sello de SECOMCyC, fue publicado en el número 367 de Gaceta Dental, Especial Implantes, de junio de 2024. Recogió el premio la coautora del artículo, la Dra. Carlota de Las Heras González.

Mejor Artículo Científico, patrocinado por IPG Dental: Dra. Triana Blanco y cols, por “Caracterización del proteoma salival en la periodontitis: identificación de nuevos biomarcadores con alta precisión diagnóstica”. Un galardón que fue recogido por las Dras. Triana Blanco e Inmaculada Tomás.

Mejor Talento en Odontología, patrocinado por Instituto IPAO: Karen Corbani, alumna de la Universidad UIC Barcelona, por su trabajo «Influencia del ángulo de inclinación en la absorción de agua de resinas impresas: un estudio in-vitro».

Galardonados con los Premios Gaceta Dental 2024

Mejor Talento en Higiene Dental, patrocinado por Instituto IDEOD: Andrés González Iglesias, alumno del CIFP Manuel Antonio de Vigo, por su trabajo “Influencia de la educación en la salud oral e higiene oral de la población”.

Mejor Clínica o Laboratorio Digital, patrocinado por Aragoneses CPD: Dental Studio María Loira. El premio fue recogido por María José Loira, directora clínica.

Mejor Gestión Clínica, patrocinado por Denarius: Clínica Dental Espinardo por su proyecto de gestión clínica “Método Faster”. El premio lo recogió Pedro Roca Sánchez, gerente de la Clínica Dental Espinardo.

Mejor Trabajo en Comunicación y Marketing, patrocinado por Philips: Clínica Talaverano. Recogieron el premio Emilio Sánchez, Hel-

ena Quiles y Ana Botella; director médico, directora y content manager, respectivamente, de Clínica Talaverano.

Mejor Avance Tecnológico, patrocinado por Expodental: Otorgado a OHDBI “Oral Health Data Bank Insights”, un visualizador de datos epidemiológicos de Salud Oral para usos docentes, investigadores, profesionales y para la toma de decisiones en materia de política sanitaria. Recogieron el premio José María Montiel y Aarón William Montiel, creadores de OHBDI.

Solidaridad Dental, apoyado por Catalano Clínicas Odontológicas: Fundación Odontología Solidaria, por su proyecto de atención bucodental a personas en situación de vulnerabilidad social que desarrolla desde el año 1994, a través de diversos programas, en sus ocho delegaciones en diferentes pun-

tos de España. El Dr. José Manuel Díaz López-Dóriga, tesorero de la Fundación Odontología Solidaria, recibió el premio de manos de Gustavo Catalano. El patrocinador global de los 27 Premios Gaceta Dental donará a la organización ganadora material fungible para el desarrollo de sus actividades solidarias.

Mejor Libro del Año, patrocinado por Tienda Gaceta Dental: “Manual de Ortodoncia clínica”, firmado por el Dr. Luis Fernando Morales.

Mejor Relato Corto, patrocinado por GDentalk: Miguel Ángel Moreno, por su texto “Dentista rural”, un relato entrañable, nostálgico y familiar con una muela del juicio como una de sus protagonistas.

Fuente: Gaceta Dental

Henar Boronat y la Dra. Carlota de Las Heras González. Imagen: Xavi Gómez Roig.

VITA VIONIC DENT DISC: El

siguiente nivel de la prótesis digital, con aún más libertad de elección

Desde hace 100 años, VITA Zahnfabrik ofrece productos extraordinarios para la prostodoncia, máxima calidad fabricada en Alemania. VITA acompaña a los clientes en el trayecto hacia la prostodoncia digital con una calidad y estética excepcionales y un plus de

D4, incluido un color de blanqueamiento.

Transición cromática integrada con una selección de colores aún mayor

VITA VIONIC DENT DISC multiColor imita al diente natural, gracias a la transición cromática a través de

eficiencia y flexibilidad. De ahí que se amplíe la gama de productos VITA VIONIC

DENT DISC multiColor en otros cinco colores VITA classical A1 -

4 niveles de intensidad cromática. La estética convincente se pone inmediatamente de manifiesto gracias a la facilidad de pulido.

A fin de ofrecer aún más libertad de elección, desde julio, VITA VIONIC

DENT DISC multiColor está disponible en cinco colores adicionales, de modo que hay un total de 12 colores VITA classical A1 – D4, incluido un color de blanqueamiento (0M1, A1, A2, A3, A3.5, B1, B2, B3, C2, C3, D2, D3).

Múltiples posibilidades

El disco multicromático, fabricado a partir de la acreditada fórmula de composite VITA MRP (Microfiller Reinforced Polymermatrix), ofrece ahora para las prótesis removibles la calidad y estética propias de los dientes premium de VITA, creados de manera personalizada y con ajuste preciso en el software de diseño.

Las posibilidades del DISC van mucho más allá de la confección de prótesis completas clásicas. Permite crear fácilmente prótesis c on ganchos y prótesis de barras, así como restauraciones removibles sobre miniimplantes.

Fuente: VITA

Laura Parras, protésica dental y escritora

En esta página tenemos el placer de presentaros a una compañera de profesión, Laura Parras, ahora también escritora con su primer libro "Una mirada diferente", disponible en librerías y plataformas digitales..

A continuación, algunas de sus reflexiones:

Hay cuentos, artículos, leyendas o pasajes que narran y cuentan mil historias, nos dan información, nos hacen descubrir cosas nuevas, o nos hacen recordar otras…

Moby Dick empezaba diciendo: “Me llamo Ismael, hace unos años…” Quizá yo debería empezar de manera similar…. Me llamo Laura, hace unos años, 4 exactamente, unos meses y unos días…

Parece que ha pasado una eternidad desde que estuvimos en pandemia y os contamos que

un grupo de protésicos dentales estuvimos fabricando EPIS para donarlos de manera altruista a hospitales, residencias, cuerpos policiales etc., fuimos el grupo de LOS TIRADORES SOLIDARIOS.

Nos sacamos un “I+D” en la fabricación rápida y eficaz, de algo que se llamó EPI y dio servicio y ayuda en un momento de necesidad. Entre aplausos y agobios, unos pocos conseguimos darle un giro a la situación e hicimos algo bueno y productivo.

Os podría contar cientos de anécdotas de ese grupo, pero sería irrelevante para el artículo, y a mí siempre me han dicho, que los mejores momentos no se enseñan, ni se publican, así que eso lo dejaremos para el recuerdo.

Un tiempo después me aventuré a escribir algo que llamaríamos: un libro, donde por supuesto no podía dejar este gremio sin mencionar, al que amo en todas sus versiones y formas indistintamente.

Los primeros capítulos son enteramente vuestros, porque de alguna manera, aparecisteis en mi vida, la convertisteis en algo mejor dentro de lo malo que teníamos encima, donde esas horas muertas y agobiantes las transformábamos en algo mejor, o en algo pasable y llevadero.

Recientemente abandoné la prótesis dental para dedicarme a otra cosa completamente diferente, pero lo que sí que tengo claro es que estáis y seguís en

mi vida de muchas maneras, me siguen encantando los “buenos días a todos menos a uno” que nos solemos dar todas o casi todas las mañanas.

El libro se llama Una mirada diferente, y creo que ese título lo podríamos encajar con esta profesión, ya que teníamos y tenéis que mirarlo de 100 maneras diferentes para dar forma y sentido a lo que hacéis y conseguir que todo funcione, pese a ir a ciegas en muchas ocasiones.

Gracias por todo y por tanto a los protésicos dentales de España. (A ojo de buen protésico)

Hasta la próxima sea donde fuere. Laura

dental PRÓTESIS

NOTICIAS

IDS 2025 contará con unos 2.000 expositores de todo el mundo en Colonia

En 2025 la Exhibición Dental Internacional (IDS / Internationale Dental-Show) volverá a reforzar su posición como la feria líder mundial para el sector dental. Para la 41ª edición, que tendrá lugar en Colonia del 25 al 29 de marzo de 2025, ya se han registrado más de 1.300 expositores, entre ellos los principales actores del sector. Además, la feria prevé recibir alrededor de 500 participantes de todos los continentes en los pabellones de países. Una vez más, la feria cubrirá todo el espectro del mundo dental, desde la odontología y la tecnología dental hasta la profilaxis y el cuidado dental, así como los diferentes servicios odontológicos y los sistemas de información, comunicación y organización. Con este contenido exhaustivo y la gran cantidad de

Por ello, Koelnmesse, empresa organizadora de la feria, recomienda a todos los visitantes que comiencen a planificar su visita con antelación. La tienda de entradas en línea (Ticket-Shop) estará abierta ya a partir de mediados de noviembre de 2024. Las entradas para IDS 2025 se podrán reservar exclusivamente en línea y se emitirán de forma personalizada. Los visitantes se beneficiarán de una gestión flexible de entradas adaptada a sus necesidades individuales. Por ejemplo, podrán gestionar sus entradas a través de la aplicación oficial de IDS, cargarlas en el monedero virtual de su móvil (smartphone wallet) o imprimirlas si así lo prefieren.

Además, se ofrecerán otros servicios para asegurar que los visitan-

Por ejemplo, la entrada incluye también el trayecto al recinto ferial con transporte público de la red regional VRS/VRR, así como ofertas exclusivas de los servicios ferroviarios alemanes Deutsche Bahn y de la aerolínea Lufthansa. Asimismo, a través del portal de reservas de hoteles de Koelnmesse, expositores y visitantes de IDS también pueden reservar en línea hasta cinco habitaciones y beneficiarse de condiciones especiales.

A partir de principios de marzo de 2025, la plataforma en línea IDSconnect que acompaña a la feria ofrecerá aún más oportunidades para el establecimiento de contactos y la preparación de la visita. Desde sesiones de aprendizaje y seminarios en línea hasta presentaciones de empresas y productos,

innovaciones que se presentarán, IDS volverá a demostrar su importancia como fuerza impulsora del sector y con visión de futuro.

Dado el alcance global de IDS, Koelnmesse espera una vez más una gran afluencia de visitantes.

tes disfruten de una participación lo más agradable posible durante los cinco días del evento. IDS se considera no sólo como la plataforma líder para el sector dental, sino también como un anfitrión para toda la comunidad dental internacional.

IDSconnect ofrecerá una amplia gama de oportunidades para experimentar la sensación única de IDS también más allá de las salas de exposición; y esto tanto antes como durante y después de la feria.

Fuente: International Dental Show (IDS)

dental PRÓTESIS

NOTICIAS

La importancia de cumplir con la normativa vigente en relación con la utilización de las impresoras 3D

Desde el Consejo General de Colegios Profesionales de Protésicos Dentales de España, recordamos a todos los protésicos dentales de la importancia de cumplir con la normativa vigente en relación con la utilización de impresoras 3D en la fabricación de prótesis dentales. En los últimos años, la tecnología de impresión 3D ha avanzado significativamente, ofreciendo nuevas oportunidades en nuestro campo. Sin embargo, es crucial que todos los dispositivos y materiales utilizados estén homologados por las autoridades sanitarias competentes.

De acuerdo con el Reglamento (UE) 2017/745 del Parlamento Europeo y del Consejo, que entró en vigor el 26 de mayo de 2021, todos los productos sanitarios deben cumplir con estrictos requisitos de seguridad y eficacia. Además, el Real Decreto Legislativo 1/2015, de 24 de julio, establece las infracciones y sanciones en materia de productos sanitarios. Específicamente, el uso de impresoras 3D no homologadas para la fabricación de prótesis dentales puede considerarse una infracción grave, con sanciones que pueden alcanzar hasta los 90.000 euros en casos de riesgo grave para la salud pública.

El uso de impresoras 3D no homologadas en la fabricación de prótesis dentales puede conllevar varios riesgos significativos:

Riesgos para la salud del paciente: las impresoras 3D no homologadas pueden utilizar materiales que no han sido debidamente evaluados para su biocompatibilidad. Esto puede provocar reacciones adversas en los pacientes, como alergias, inflamaciones o infecciones.

Falta de precisión y calidad: las impresoras no homologadas pueden no cumplir con los estándares de precisión necesarios para la fabricación de prótesis dentales. Esto puede resultar en prótesis mal ajustadas, que no solo son incómodas para el paciente, sino que también pueden causar problemas adicionales en la boca.

Infracción de la normativa: utilizar equipos no homologados infringe la normativa vigente, lo que puede llevar a sanciones legales y económicas. Además, en caso de que se detecten problemas de salud relacionados con el uso de estas prótesis, el profesional puede enfrentar responsabilidades legales graves.

Es fundamental asegurarse de que todas las herramientas y materiales utilizados en la práctica dental cumplan con las normativas y estándares de calidad establecidos para garantizar la seguridad y el bienestar de los pacientes.

Es por ello que el Consejo recomienda que, antes de adquirir o utilizar una impresora 3D para la fabricación de prótesis dentales, es importante asegurarse de que el dispositivo y los materiales estén

debidamente homologados por las autoridades sanitarias.

Formación continua: mantenerse actualizado sobre las últimas normativas y avances tecnológicos mediante cursos de formación continua ofrecidos por el Colegio o por entidades debidamente preparadas.

Consultas y dudas: para cualquier consulta o duda relacionada con la normativa vigente y el uso de nuevas tecnologías en la práctica profesional, contactar con el Colegio Profesional o con el Consejo de Protésicos Dentales.

Es importante también recordar que, únicamente el protésico dental, debidamente colegiado, y exclusivamente dentro de un laboratorio dental, con su pertinente licencia de fabricante de productos sanitarios a medida, es el único profesional que puede diseñar, elaborar, fabricar y reparar prótesis dentales, mediante medios digitales, analógicos o cualquier otro método.

La seguridad y el bienestar de nuestros pacientes es la máxima prioridad del Consejo General.

Los ciudadanos podrán acceder a su historial de vacunación en cualquier comunidad

El Ministerio de Sanidad ha publicado el borrador del proyecto de real decreto por el que se regula el Sistema de Información de Vacunaciones e Inmunizaciones.

La necesidad de mejorar la vigilancia en salud pública, especialmente en relación a la vacunación, se hizo evidente durante la pandemia de COVID-19. Por eso, el 2 de febrero de 2022, el pleno del Consejo Interterritorial del Sistema Nacional de Salud acordó la creación del Sistema de Información de Vacunaciones e Inmunizaciones (SIVAIN), aprovechando la experiencia del registro nacional de vacunaciones frente a COVID (REGVACU).

SIVAIN incorporará los datos de las vacunas e inmunizaciones administradas en España. Ello permitirá un mejor seguimiento y evaluación de los programas de vacunación e inmunización, disponer de una aproximación al estado inmunitario de la población y contribuir a la vigilancia, prevención y control de las enfermedades inmunoprevenibles.

Los ciudadanos podrán conocer su historia vacunal independientemente de la comunidad autónoma en la que se le haya administrado y si se ha realizado en el sistema sanitario público o privado.

El personal sanitario también podrá consultar los antecedentes vacunales de cada usuario, lo que dará mayor garantía de seguridad al paciente.

En el momento actual, los registros de vacunación e inmunización en España presentan una marcada heterogeneidad entre las comunidades autónomas, tanto en los métodos de recogida y gestión de

datos como en los indicadores obtenidos. Esta situación dificulta la monitorización a nivel nacional, que actualmente se basa en solicitudes de datos individuales dos veces al año.

El objetivo final es mejorar la protección de la población a través de un mejor conocimiento del estado inmunitario y una mayor cohesión en el desarrollo de los programas de vacunación.

El Ministerio de Sanidad está contribuyendo al desarrollo tecnológico necesario en las comunidades autónomas para su adaptación a SIVAIN, con la distribución de fondos en 2022 por un importe de 11,2 millones de euros. En 2024 está previsto distribuir 5 millones de euros.

Fuente: Ministerio de Sanidad

dental PRÓTESIS

COLEGIOS PROFESIONALES

Taller Fotografía móvil y toma de color digital

El 20 de septiembre, el Colegio Profesional de Protésicos Dentales de Aragón organizó, en el Centro Empresarial CEPAR un taller teórico-práctico sobre "Fotografía móvil y toma de color digital" con la colaboración de VITA IBËRICA.

José Gabriel Martínez, líder de opinión de VITA ZAHNFABRIK IBERICA y experto en la toma de color digital, fue el encargado de impartir el taller.

Circonio monolítico. Realidad en tus manos

La Asociación de Técnicos en Prótesis Dental del País Vasco, organizó, en su sede de Bilbao, el pasado día 28 de septiembre el curso. "Circonio monolítico. Realidad en tus manos" impartido por el protésico dental Ivan Unfeter. Durante la sesión se trataron las las ventajas y desventajas de las coronas monolíticas, y sobretodo las diferencias del circonio premium NexxZr T muilti y qué lo diferencia del NexxZr + multi. Igualmente se trató todo el proceso desde el nesting hasta el glaseado, poniendo especial atención a la pieza recién fresada y después al abrillantado del circonio con el kit de pulido NexxZr Shine. Finalmente terminará caracterizando y glaseando con el sistema IPS Ivocolor.

Tercera sesión curso EXOCAD 2024 (2ª Edición) Prótesis Removibles digitales

El viernes 6 de septiembre, se realizó la tercera sesión del Curso Exocad 2024 sobre Prótesis removibles digitales, dicha formación online la organizó el Colegio Profesional de Protésicos Dentales de Aragón sobre” y en donde se trataron los diferentes tipos de protocolos en diseño de prótesis parciales removibles. Dictando unos protocolos privados de la academia, DentalCAD Academy, en la última versión del software de Exocad, Elefsina 3.2.

IN MEMORIAM: D. Alonso Mayorga Freytas

El Comité Directivo del Consejo General de Protésicos Dentales quiere enviar sus más sentidas condolencias a la familia, amigos y compañeros de profesión, así como a todo el sector protésico dental de Andalucía, por el reciente fallecimiento de D. Alonso Mayorga, quién fue una figura indispensable en el sector protésico dental como presidente de la Federación Española de Protésicos Dentales, presidente de la Federación Andaluza de Protésicos Dentales y de la Asociación de Protésicos Dentales de Sevilla. Uno de sus principales logros fue el conseguir que la profesión de protésico dental se incluyese dentro de la Ley Sanitaria de 1986, anteriormente estaba en el sector de la metalurgia.

Descanse en Paz

dental PRÓTESIS

Día del Protésico Dental en Baleares

El Col·legi Professional de Protètics Dentals de les Illes Balears celebró con gran éxito la Festividad del Día del Protésico, el pasado viernes 3 de mayo de 2024 en el Hotel Saratoga de Palma. La noche comenzó a las 21:00 horas con una cena en el Gastrohall del hotel, donde se reunieron numerosos colegiados y sus familias.

A las 22:30 horas, se llevó a cabo un emotivo homenaje a los protésicos jubilados Damià Llado Duran (colegiado número 43) y Miquel

Bibiloni Alberti (colegiado número 98). El señor Llado asistió junto a sus familiares, entre ellos su hija Isabel Llado, su esposa y su yerno Francesc Borira. El señor Bibiloni estuvo acompañado por su esposa. La Ponente de Cultura, Margalida Cladera, fue la encargada de llevar a cabo el homenaje, junto con el resto de miembros de la Junta, dedicándoles palabras de agradecimiento y reconocimiento a su dedicación y contribuciones al sector de la prótesis dental, des-

tacando su impacto y legado en la profesión.

Al finalizar la cena, se realizó un sorteo de regalos, generosamente aportados por los colaboradores del Colegio: A.M.A., Banco Sabadell, Henry Schein, SCHMIDT, Balear Dent Depósito Dental y Straumann.

La Junta de Gobierno y la Comisión Cultural del Col·legi agradeció a todos los participantes y colaboradores por su apoyo y contribución, que hicieron de este acto un rotundo éxito.

El CPPDA renueva su convenio de colaboración con la Fundación A.M.A.

El pasado 5 de septiembre se firmó, en Madrid, en la sede de la Fundación Dental Española A.M.A, la renovación del convenio de colaboración entre el Colegio Profesional de Protésicos Dentales de Andalucía y A.M.A. El acto de la firma estuvo presidido por Dª Ana Pastor, presidenta de A.M.A. y D. Héctor Iris Couso, presidente del Colegio Profesional de Protésicos de Andalucía.

El objetivo de este acuerdo es canalizar la colaboración de A.M.A. en las actividades del Colegio, encaminadas a mejorar la prestación de servicios en beneficio de los colegiados.

Dª Ana Pastor, presidenta de A.M.A. y D. Héctor Iris Couso, presidente del Colegio Profesional de Protésicos Dentales de Andalucía
¡Ojo

con la identificación!

En muchas ocasiones, las personas ajenas a nuestra profesión, que desconocen la existencia del título de protésico dental, nos llegan a llamar “dentista”, “dientista”, “mecánico”, o similares. Cuando suena el teléfono y nos dicen, ¿es el dentista?, aunque pueda parecer algo cortante, hay que corregir y decir, no, es está llamando al protésico dental (quien lo sea).

¿Por qué esta recomendación?

El artículo 403 del Código Penal castiga con cárcel al que se identifica como profesional de la profesión supuestamente invadida, y tenemos noticia de que algún miserable está aprovechando la situación buscando encarcelar a algún protésico, pese a no haberse identificado como dentista, aunque el ciudadano nos llame así.

Por eso, es recomendable que los protésicos dentales nos identifiquemos de forma inequívoca como lo que somos, aunque tengamos que corregir, de forma amable, a quienes nos identifican de forma errónea.

dental PRÓTESIS

OFERTAS

SE NECESITA protésico dental y ceramista con experiencia en encerado de estructura, repasado y montaje de cerámica para laboratorio en zona sur de Alicante. Interesados llamar al Tel.: 966780412, col. nº 9 Alicante.

SE BUSCA ceramista con experiencia para laboratorio en Barcelona, llamar al Tel.: 639157848, Sr. Francisco, colegiado 677 COPDEC.

BUSCAMOS protésico dental para laboratorio dental en Ávila. Con buenos conocimientos generales y buena predisposición. Incorporación a pequeño equipo con buen ambiente de trabajo con las últimas tecnologías y buenas expectativas de futuro. información Tel.:

920250320, colegiado 49 Castilla y León.

SE NECESITAN protésicos con experiencia para cubrir varios puestos en prótesis removible y fija. Tel.: 645995215. Enviar CV laboratoriogranadent@gmail.com, colegiado 745 Andalucia.

BUSCAMOS ceramista con experiencia demostrable para laboratorio situado en Orihuela Costa (Alicante) por ampliación de plantilla. Se ofrece contrato indefinido a jornada completa, jornada intensiva y salario a convenir. Enviar CV a dentartstylezenia@gmail. com. Tel.: 693783255 Colegiado 315 Alicante.

LABORATORIO de Ortodoncia en Madrid busca incorporar protésicos para sus secciones de ortodoncia

fija, removible y CAD CAM. Email: contestador@ortodonciaortosol.es, colegiado 515 Madrid.

SE NECESITAN Protésicos Dentales, especializados en el área de resina y de cerámica, con experiencia mínima de 2 años demostrable para laboratorio ubicado en Jerez de la Frontera. Interesados llamar al Tel.: 637552632/956 18 52 64. Colegiado 575 Andalucia.

LABORATORIO de ortodoncia en Oviedo busca protésic@ con experiencia en ortodoncia, jornada completa, salario a convenir según valía y productividad. Tel. 628807736, email: info@orthoeasy.es. Colegiado 268 Asturias.

SE BUSCA protésico especializado en prótesis removible, la oferta es en Torrelavega/Cantabria. Enviar

CV laboratoriooscarmartin@gmail. com, colegiado 250 Cantabria.

SE PRECISA para laboratorio ubicado en Jaca, un profesional con ganas de aprender y de adquirir responsabilidades dentro del equipo y una proyección a largo plazo en nuestro laboratorio. Se valora experiencia en Exocad y manejo de herramientas CAD / CAM (fresadoras, impresoras 3D). Enviar CV a: info@fabueldentallab.com.

SE PRECISA protésico/a dental para laboratorio en Zaragoza. Preferiblemente con experiencia de 2 años y conocimientos en Exocad. Interesados/as enviar C.V. a: Laborzaragoza@gmail.com. Colegiado nº 389 de Aragón.

LABORATORIO ubicado en Zaragoza, busca 3 protésicos dentales.

1- Protésico/a dental CAD-CAM: experiencia mínima 3 años demostrables, diseño Exocad (puentes, coronas, rehabilitaciones, férulas de descarga, coronas sobre implante, carillas, cargas inmediatas, blender, férulas quirúrgicas). Manejo de impresoras 3D, maquillaje de zirconio monolítico.

2- Protésico/a dental CERAMISTA: experiencia mínima 3 años demostrables, estratificación de todo tipo de restauraciones, puentes, coronas, rehabilitaciones, coronas sobre implantes, maquillaje. 3Protésico/a dental sección REMOVIBLE: experiencia mínimo 3 años demostrables, diseño y fabricación de todo tipo de prótesis de resina. Ponte en contacto con nosotros dejándonos tu currículo en nuestro email: 3dentallaboratorio@gmail. com. Colegiado 387 Aragón.

DEMANDAS

SE OFRECE protésica en Madrid, buscando ampliar conocimientos y

experiencias, disponibilidad inmediata. Tel.: 605157446, email sheridalucena@gmail.com Sheri. PROTÉSICO colegiado busca trabajo en Córdoba y provincia. 17 años de experiencia en resina (montaje, modelado, repasado) y pulido en cerámica con metal IPS Design (modelado, repasado estructuras y montaje de cerámica). Tel.: 609069055. Colegiado nº 314 CPDA.

SE OFRECE protésica colegiada con laboratorio propio, máxima seriedad, para hacer trabajos estéticos en removible, metal cerámico, cerámica total e-max, prótesis fija y combinada. Tel.: 606652563. Margarita. Col.184 COPRODIB.

SE OFRECE protésico dental de 22 años con 20 meses de experiencia voluntaria y 3 curriculares con mucho interés en aprender tanto prótesis fija como removible y ganas de trabajar. Paco Bastida. Tel.: 697822168. pacobastida95@gmail.com, Sanlúcar de Barrameda – Cádiz.

SE OFRECE protésico dental colegiado con más de 25 años de experiencia. Tel.: 659930402. prietofma@gmail.com. Colegiado 280287 de Madrid.

BUSCO un laboratorio donde poder trabajar o realizar un contrato de prácticas para poder ampliar mis conocimientos y desarrollar todo lo aprendido. He acabado este año Prótesis Dental, en estos dos años de curso he realizado prótesis completas, parciales, implantes, cerámica y un poco de CAD/CAM. He realizado un cursillo de iniciación a la cerámica en el Dental Training Center de Barcelona by August Bruguera, tengo intención de seguir desarrollándome, haciendo más cursos. Soy una persona muy trabajadora y responsable, no tendría problemas p ara desplazarme de lugar de residencia. Colegiado 425 Aragón, email: baipe-19_96-na@outlook.es, Ignacio, Tel.: 664040461.

SE OFRECE protésico dental en Valencia capital, 30 años, 8 años de experiencia destacada en cargas inmediatas y sección de resina. También quiero destacar otros campos como Cad/Cam y encerados estéticos. Tel.: 686918179 Mariotellezdelsaz@gmail.com, colegiado 1178 Castellón y Valencia.

LABORATORIO Martínez González ofrece sus servicios prótesis fija zirconio, prótesis removible y ortodoncia a laboratorios dentales. Disponemos de las últimas tecnologías, escáner, fresadora, impresora, los trabajos pueden ser recogidos mediante mensajería o bien mandados mediante formato STL Pidan información sin compromiso. Tel.: 868175177, correo: laboratoriomartinezgonzalez@hotmail.com, colegiado 276 Murcia.

PROTÉSICA Dental con 17 años de experiencia en removible se ofrece para trabajar en Bilbao o alrededores. Correo: m.acuarioruiz@gmail.com.

PROTÉSICO dental-ceramista con más de 15 años en prótesis dental fija (estructuras, cerámica, di silicato, zirconio...) busca trabajo en Málaga capital y provincia. Persona seria, responsable y trabajadora. Tel.: 630056336, email pequinvigo@gmail.com.

PROTÉSICO con 12 años de experiencia en escayola y Resina y conocimiento en cerámica y máster, se ofrece para trabajar en Madrid. Colegiado 281331 Madrid. Email: relli_fer@hotmail.com.

SE OFRECE protésico dental titulado con muchos años de experiencia en prótesis removible, inmediatas, híbridas, férulas etc... Prótesis fija, repasado, modelado, ataches, implantes, barras etc... Para contactar llamar al Tel.: 600387424. Valencia.

SE OFRECE servicio de diseño CAD. Protésica dental con más de 14 años de experiencia (10 en CAD), ofrece sus servicios como

dental PRÓTESIS

ANUNCIOS BREVE S

freelance para épocas de excedente de trabajo, también formación, on-line/in-situ, para laboratorio dental. Tel.: 642727429, ana@lanadentaldesign.comm.

PROTESICO dental recién titulado busca trabajo en la comunidad andaluza. Experiencia en período de prácticas en resina, escayola y flujo digital. Soy una persona puntual y responsable. Tengo muchísimas ganas de ejercer la profesión y adquirir experiencia. Si le encajo en su perfil, no dude en contactarme Tel.: 669955311, victorjose12cod@ gmail.com.

PROTESICA dental busca laboratorio en Sevilla o alrededores que me permita seguir desarrollándome profesionalmente en cualquier área. Soy una persona trabajadora y responsable. Estaría encantada de enviarle mi currículum. Mi correo: Lauramorenokr@gmail.com, Tel.: 605520053. Colegiada 2516 Andalucia.

LOCALES

SE VENDE o traspasa laboratorio dental en Santiago de Compostela con cartera de clientes. Equipado con 5 puestos de trabajo, cuenta con la maquinaria necesaria para estética, implantes, removible y Cad-Cam (escáner e impresoras). Para más información 651372023, colegiado 8 Galicia.

ALQUILO laboratorio dental equipado para removible metálica, resina y metal cerámica, actualmente en funcionamiento. Todas las licencias, con o sin maquinaria. Colegiado nº 264 CPDCM. Tel.: 916609114.

VENDO O TRASPASO por jubilación, laboratorio dental preparado para todo tipo de trabajos, con Cad-

Cam KAVO, fundidora de titanio y laser entre otras maquinarias. Tel.: 922274803 Carlos, colegiado nº 28 de Santa Cruz De Tenerife.

SE TRASPASA laboratorio dental en Madrid por jubilación. Modalidad de venta o alquiler de local. Negocio consolidado con más de 30 años de actividad, con cartera de clientes. El laboratorio dispone de 11 puestos de trabajo, 3 hornos de cerámica, escáner Cad/Cam, sala de colados, sala de escayola, despacho, zona de comedor, 2 servicios completos con vestuario y almacén. Local de 225 m2 muy luminoso, situado en edificio industrial Indobuiding, con conserje, vigilancia 24 horas, ascensor para coches y muelle de descarga. Consultar condiciones. Contacto: Clemente Tel. 616596078, mariamaxsd@gmail.com, colegiado 280205 Madrid.

ALQUILO laboratorio en Burgos con vistas a próxima jubilación, ubicado en zona tranquila y entorno muy agradable. Dispone de 4 puestos de trabajo, está preparado para hacer trabajos de fijo y móvil, hornos, scanner 3d etc. Para más información preguntar por Luis Tel.: 947200959. Colegiado 14 Castilla y León.

SE VENDE laboratorio de Prótesis Dental en Alcobendas. Totalmente equipado con quince puestos de trabajo para protésicos, divididos en varias secciones, recepción, oficina y despacho, con toda la maquinaria necesaria para su funcionamiento. (prótesis fija, Cad-Cam, removible, y esqueléticos) Incluimos el mobiliaria, las existencias y el fondo de comercio, disponemos de toda la documentación en vigor para seguir funcionando, licencia sanitaria, ayuntamiento y contratos los necesarios como la Lopd , Prevención de riesgos y Extinción. También

existe la posibilidad de venta o alquiler del local. Interesados contactar vía email Labodental28@gmail. com. Colegiado 685 Madrid.

SE VENDE o alquila, por jubilación, laboratorio dental en Asturias de 92 m2, exterior, totalmente equipado para prótesis removible, fija e implantes, para entrar a trabajar, 7 puestos de trabajo, sistema CADCAM de Zirkonzahn.M5, escáner, horno de sinterizado y ordenador. Para más información contactar Tel. 600468152, José Luis colegiado 1 del Principado de Asturias. Email: laboratoriodentalcortina@ gmail.com.

OPORTUNIDAD asegurada, si te vas a montar un laboratorio por el precio de un alquiler cómprate un local con el doble de maquinaria para hacer prótesis fija y móvil, actualmente con trabajo y todos los permisos en regla (85m2). Sin problemas de salida de humos ni problema con los ruidos y estratégicamente ubicado en la zona de Barcelona y fácil de repartir en periferia, aparcamiento para motos en frente y línea de metro y autobuses al lado. Veinte años funcionando. Tel.: 661061839. Colegiado 843 Cataluña.

SE ALQUILA espacio de trabajo en laboratorio dental ubicado en Sevilla, mesa de trabajo personal y resto de maquinaria a compartir desde 250 euros, colegiado 571 Andalucia. Email: laboratoriodentalmonzonsevilla@gmail.com.

SE TRASPASA o vende laboratorio dental en zona sur de Madrid por cambio de actividad.140 m. Todos los permisos al día, todo montado (8 puestos), cartera de clientes; mando fotos si está realmente interesado zona de Aluche. Tel.: 690864534.Angel. Col. 853 Madrid.

SE TRASPASA o vende laboratorio en Cornellá de Llobregat (Barcelona), local de 150m, todo exterior con luz natural, en edificio de oficinas en zona industrial, dividido por secciones con aire acondicionado, instalación eléctrica trifásica, instalación de aire comprimido, varios puntos de agua y desagües, extintores. Con todos los permisos y licencias actualizadas. Equipado con mobiliario metálico, 10 puestos de trabajo nuevos (solo utilizado para cursos) y 6 puestos con aspiración individual, lámparas y micromotores en perfecto estado. Varios muebles auxiliares y de almacenaje. Maquinaria para todas las secciones en buen estado. Preparado con una sala independiente para hacer cursos. Bien comunicado con transporte publico cerca de hoteles y a 10minutos del Aeropuerto. Si te interesa puedo mandar fotos. Tel.: 620267671. Colegiado 467 COPDEC.

VENTA del negocio, laboratorio en funcionamiento con personal, cartera de clientes, maquinaria, sección CAD/CAM, licencias en regla, buena facturación anual, dentro de unos años nos llega la jubilación y queremos que nuestro negocio continue en otras manos. Colegiado 103 Comunidad de Madrid. Contactar con Begui Tel.: 685968443.

VENDO O TRASPASO laboratorio dental en funcionamiento. Equipado para la elaboración de prótesis fija, removible metálica y removible acrílica. Cuenta con cartera de clientes activa. Instalado en un local de 85 m2, en zona muy comercial de fácil aparcamiento. Tiene todos los permisos y licencias en vigor. Colegiado 522 Andalucia. Tel.: 655940381. Sevilla.

TRASPASO laboratorio dental equipado y en funcionamiento por próxima jubilación, 4 puestos de

trabajo, maquinaria para trabajo según: flujo digital (CAD/CAM), manual (tradicional), autorización sanitaria para: resina, metálica, fija, mixtas e implantosoportadas y ortodoncia. Se incluyen materiales y reservas existentes (resinas, tabillas de dientes, alambres, fresas, etc.) Precio: alquiler y traspaso a negociar. Se enseñará al completo el funcionamiento del laboratorio. Interesados contactar al Tel.: 647780020 – 968931139. Colegiado 139 Murcia.

TRASPASO laboratorio dental de prótesis removible en pleno funcionamiento en provincia de Barcelona, con buena facturación, dos puestos de trabajo con licencia actual y maquinaria completa, incluido máquina de sistema Deflex, etc…. Más información Tel.: 630035921. Colegiado 458 Cataluña.

TRASPASO laboratorio por jubilación en el Actur de Zaragoza, a 50m de Gran Casa, totalmente legalizado. Amplia cartera de clientes. Mas información Ángel Tel.: 679101626. Colegiado 180 Aragón.

VENTA DE MATERIAL Y EQUIPAMIENTO

VENDO, por cierre de actividad laboral, laboratorio en Las Palmas de Gran Canaria, completamente equipado para prótesis fija y removible. Local propio de 50 m2 aproximadamente con Licencia Sanitaria vigente hasta 2027. 2 puestos de trabajo. Mercedes. Tel.: 659152722 Colegiado 29 CPPD Las Palmas.

VENDO por jubilación horno Cergo Press c/ bomba de vacío 1.800 euros, articulador tipo Arcón marca

Fino 110 euros y otros elementos propios de la profesión, preguntar sin compromiso. Tel.: 664430000. Colegiada 861 Andalucia.

SE VENDE Máquina de vacío MINIESTAR de la casa SCHEU: Se adjuntan todas las fresas y discos necesarios, rejilla de repuesto, perdigones, caja con nueve planchas DURAN + de 1,5mm, caja con nueve planchas Bioplast Xtreme de 5mm para protectores de deportistas, catálogo de planchas, etc… 1.200€. Compresor Mestra: Alto-650mm, Ancho-390mm, Largo-390mm, Peso-30kg, Potencia-750w, Presion-5/8 bar, Capacidad calderin-30 L, Nº cabezales-1. 600€. Lámpara polimerizadora: Alto-115mm, Ancho-215mm, Fondo-295mm, Peso-2kg, Potencia-40w, Espectro- 350/400nm. 230€, Recortadora Mestra: Disco de carburo de silicio, 1500rpm, Potencia-800w 180€, Olla polimerizadora Mestra 125€ , regalo hornillo eléctrico, micromotor colgante Cavo 20000 rpm con pieza de mano. Con más de 40 años y funcionando. ¡Para coleccionistas!!! 550€. Interesados ponerse en contacto con Javier Lacosta, Tel.: 630904931 o al correo electrónico: orto doncialacosta@ gmail.com. Col. 68 Aragón.

SE VENDE por jubilación, maquinaria de laboratorio, consumible de prótesis y ortodoncia. Contacto Manuel Pazos, Tel.: 619344067, colegiado 28 de CyL, correo electrónico pazdentos@gmail.com.

VENDO Horno de cerámica Multimat Touch-Press para cerámica convencional y cerámica inyectada con bomba de vacío, 2.800 euros, (regalo cilindros y pistones para inyectar), metal precioso D.SIgn 84 IVOCLAR 25gr, 15% descuento sobre precio de mercado. Tel.: 606626478. e.mail: dentetes@hotmail.com Col Tenerife.

dental PRÓTESIS

ANUNCIOS BREVE S

VENDO horno de inyección EP600

IVOCLAR, soldadora por puntos Phasder KUSS, Metacom horno de precalentamiento MANFREDI, batidora vacio JELENKO, mesa trabajo, chorro vapor, cerámica Desing, In ceram. Tel.: 913513535, Col.1147 CPDCM Jorge.

VENDE laboratorio dental, fresadora-copiadora para óxido de circonio Ceramill de Amanngirrbach, más horno para sinterizar Ceramill Therm (último modelo). Es el sistema completo original, que contiene 84 bloques de circonio pequeños y 4 grandes, y resinas para modelar, todo a estrenar. 6.500 euros. Precio negociable. Tel.: 976252055. Colegiado 25 del Colegio Profesional de Protésicos Dentales de Aragón.

SE VENDE sistema GIROFORM para modelos desmontables 850 euros, contacto Juan Yarza, Tel.: 976333241, colegiado 167 Aragón.

SE VENDE: Por jubilación, maquinaria de laboratorio de prótesis dental; Inductora mi200 de electrodensa, Spectramat, Ivomat IP3, Recortadora Mestra 1800 r.p.m., Vibrador, Demco, Mesa de trabajo Cornet (adaptada para aspiración,aire y gas), Horno cerámica Programat P95 (con bomba de vacío y suplementos). Contacto: Rafael, Colegiado 306 de Galicia. Tel.: 619606100. Los precios son a convenir.

VENDO mesa de prótesis dental de un puesto más modulo en lado derecho para horno u otra máquina, preinstalación de sistema de aspiración, luz y gas, precio 790 euros, algo negociables, incluida lampara de 2 fluorescentes valorada en 300 euros. Colegiado 36 Extremadura. Jesús Tel.: 647503813, para más información y fotografías

VENDO por jubilación, maquinaria, mobiliario y productos dentales de laboratorio dental, mesas, inductora, hornos cerámica e inyección, micromotores, porcelanas variadas de fija, removible y esqueléticos...o traspaso a emprendedor a precio simbólico, doy información en el Tel.: 636256513, Francisco Javier colegiado 28 de Extremadura.

SE VENDE maquinaria prótesis dental por jubilación, articulador tipo arcón, soldadora de punto ortodoncia, horno Cergo press y convencional de Degussa, batidora de vacío y otros artículos más, preguntar sin compromiso. Tel.: 6644300008, colegiada 861 Andalucia.

VENDO maquinaria por cierre de laboratorio, arenadora 2 módulos ESB 2 Plus EUROCEM, compresor Shark 24/150 OIL Less, chorro de vapor EV EUROCEM, calentador de cera para impresión MESTRA, electrovibrador EV200 13x22 EUROCEM. Colegiado 724 Cataluña. Tel.: 661028097.

VENDO maquinaria laboratorio dental por cese actividad.1-compresor Mafor sin aceite 2 cilindros 2 CV, 2-pulidora Kavo, 3-recortadora Kavo cinta banda, 4-motor Demco, 5-batidora vacío Multivac Degusa, 6-centrífuga Minicast Ugin, 7-horno precal. Magma Renfert, 8-lámpara fotopolimer HILITE POWER 3D + otros.TOTAL LOTE 7.500 euros. Colegiado 10 COPDEC. Tel.: 669513944.

SE VENDE, por motivo de inactividad: recortadora de escayola Mestra, mezcladora revestimientos, compresor aire, motor de mesa Demco, motor de medio caballo, inductora metal Galoni (Ref: 049059), vaportizador, arenadora de dos chorros Mestra, aspirador Kavo, aspirador Bosch, olla termo- curado resina Palamat, micromotor Kavo 4 (pieza de mano), micromotor ZENIT (pieza de mano), micromotor NSK (pieza de mano) , turbina NSK (seco+agua, Ref: 041969), turbina bien-air (Ref: H92551), Lampara LED Mestra, horno para inyección y cocción de cerámica Programat PE COMBI 6000 Ivoclar, horno para cerámica Programat P 500 Ivoclar, máquina termoconformado (para placas al vacío), mueble JEB (esquinero para porcelana), escritorio de oficina (esquinero), equipo de soldadura y restos complementarios. Los equipos se encuentran en buen estado. Para más información contacte con 667376590/ 675896506, colegiado 60, Navarra.

DIRECTORIO DE COLEGIOS PROFESIONALES

Colegio Oficial de Protésicos Dentales de Alicante

C/ San Carlos 134-1º 03013- ALICANTE Tf. 965146937 www.coproda.es Email: info@coproda.es

Colegio Profesional de Protésicos Dentales de Andalucía C/ Aragón, 23 Local 41006 SEVILLA Tf. 954641546 www.cppda.es Email: cppda@cppda.es

Colegio Profesional de Protésicos Dentales de Aragón Centro Empresarial Parque Roma C/ Vicente Berdusan, Bloque D-1 Bajos 50010 ZARAGOZA Tf. 976460332 www.coppda.com Email: coppda@coppda.com

Colegio Profesional de Protésicos Dentales del Principado de Asturias C/ Río Caudal 7 entlo. F 33011 OVIEDO Tf. 985294218 www.protesicosdentalesasturias.com Email: buzon@protesicosdentalesasturias.com

Colegio Profesional de Protésicos Dentales de Islas Baleares

C/ Cima 17, local 9 07011 PALMA DE MALLORCA Tf. 971777574 www.coprodib.org Email: coprodib@gmail.com

Colegio Profesional de Protésicos Dentales de Cantabria C/ Los Escalantes, 5 Ppal. Izq. 39002 SANTANDER Tf. 942362764 www.cprotcan.com Email: protesicoscantabria@gmail.com

Colegio Oficial de Protésicos Dentales de Castellón y Valencia C/ Ciudad del Aprendiz, 3 Bajo 46017 Valencia Tf. 963471840 www.cprotcv.org Email: valencia@cprotcv.org

Colegio Oficial de Protésicos Dentales de Castilla-La Mancha C/ Dr. Bornadel, 15- Of.3 Edif. Juan de Austria 13600 ALCÁZAR DE S. JUAN Tf. 926551301 www.protesicosdentales.es Email: colegio@protesicosdentales.org

Colegio Profesional de Protésicos Dentales de Castilla y León Carretera de Rueda, 17 Local Izquierdo 47008 VALLADOLID Tf. 983477117 www.coprodecyl.com Email: coprodecyl@gmail.com

Colegio Oficial de Protésicos Dentales de Cataluña C/ Provença, 337- 3º I 08037 BARCELONA Tf. 934576499 www.copdec.es Email: copdec@copdec.es

Colegio Profesional de Protésicos Dentales de Extremadura Avda. de Numancia, 1 06800 MERIDA Tf. 924373638 www.colprodentaex.com Email: colegioextremadura@colprodentaex.com

Colegio Oficial de Protésicos Dentales de Galicia C/ del Hórreo, 7 -1º Izq. 15702 Santiago de Compostela -A CORUÑA Tf. 981571017 www.coprodega.es Email: coprodega@coprodega.es

Colegio Profesional de Protésicos Dentales de la Rioja Avda. de La Rioja, 6 - 6º A 26001 LOGROÑO Tf. 941258467 www.protesicosdentalesrioja.com Email.info@protesicosdentalesrioja.com

Colegio Profesional de Protésicos Dentales de las Palmas Urb. Residencial Reina Mercedes I – Local 5º 35012 Las Palmas de Gran Canarias Tf. 928361000 www.protesicoslaspalmas.com Email.cppdlaspalmas@infomed.es

Colegio Profesional de Protésicos Dentales de la Comunidad de Madrid C/ Dcotor Esquerdo, 166 -1º E. 28007 Madrid Tf. 917580238/917580239 www.colprodecam.org Email.info@colprodecam.org

Colegio Profesional de Protésicos Dentales de la Región de Murcia C/ Santa Teresa, 19 entresuelo 1º C 30005 MURCIA Tf. 968217247 www.colegioprotesicosmurcia.es Email: info@colegioprotesicosmurcia.es

Colegio Profesional de Protésicos Dentales de la Comunidad Foral de Navarra C/ Monasterio de Yarte, 1 Bajo 31011 PAMPLONA Tf. 948251875 www.copdna.es Email: copdna@outlook.es

Colegio Profesional de Protésicos Dentales de Santa Cruz de Tenerife C/ Pedro Modesto Campos,4 Piso 1º Of. 2 Ed. Los Dragos 38006 SANTA CRUZ DE TENERIFE Tf. 822012531/628137142 www.colprotfe.es Email: colprotfe@gmail.es

Asociación de Técnicos en Prótesis Dental del País Vasco Aldaieta Bidea, 7 – Lonja 48950 – Astrabudua (VIZCAYA) Tf. 944 171 097 www.euskalprotesis.com Email: euskalprotesis@gmail.com

Si estás interesado en publicar tu anuncio en Dental Prótesis, envíanos un email a: info@consejoprotesicosdentales.org

Turn static files into dynamic content formats.

Create a flipbook
Issuu converts static files into: digital portfolios, online yearbooks, online catalogs, digital photo albums and more. Sign up and create your flipbook.