
14 minute read
restauración dental
El valor de las técnicas mínimamente invasivas en la restauración dental. El caso de implantes cortos y las carillas cerámicas. Apropósito de un caso
Eduardo Anitua DDS, MD, PhD1, 2, 3
Advertisement
ISBN: 978-84-09-16842-2
INTRODUCCIÓN La pérdida de piezas dentales tiene como consecuencia la reabsorción del reborde alveolar.1 Este proceso se caracteriza por ser crónico, irreversible, y acumulativo. La otra característica importante de este proceso es ser progresivo, lo cual queda de manifiesto en la clasificación del proceso alveolar según Atwood (1988).2,3 Gran parte de la pérdida ósea tras la extracción de piezas dentales ocurre durante el primer año, siendo la tasa más alta durante los primeros meses siguientes a la pérdida dental.3,4 Diversos estudios indican que la mandíbula y los sectores posteriores son más vulnerables a la reabsorción que el maxilar superior y los sectores anteriores, respectivamente. La pérdida de la pieza dental provoca una situación de hipofunción que resulta en la reducción de la mineralización ósea y la disminución de la masa colágena, produciéndose también cambios en el patrón del suministro sanguíneo del hueso alveolar.3-8 Todos estos cambios, junto con el incremento en la cantidad de hueso envejecido, afectan negativamente la estabilidad del hueso alveolar y aumentan el riesgo de reabsorción ósea. El coste y la morbilidad de los procedimientos quirúrgicos para compensar la atrofia alveolar sirvieron como punto de partida para encontrar otras soluciones predecibles y mínimamente invasivas.9 Así nacieron los implantes cortos cuya longitud es < 8 mm como alternativa a los procedimientos quirúrgicos de aumento óseo vertical. Numerosos estudios han demostrado la predictibilidad de los implantes cortos en la rehabilitación protésica del maxilar atrófico.10-17 En una revisión sistemática recientemente publicada con 1460 referencias, incluyendo un total de 1269 pacientes que recibieron 2631 implantes, pudimos comprobar cómo no existen diferencias estadísticamente significativas en la tasa de supervivencia, la pérdida ósea, complicaciones biológicas y complicaciones técnicas de la prótesis al comparar implantes cortos con implantes largos18 Avances recientes en el diseño de los implantes han permitido desarrollar unos nuevos implantes extracortos con una longitud que oscila entre 5,5 y 6,5 mm, aumentando las posibilidades de tratamiento en casos severos. Los implantes extra-cortos están indicados para el tratamiento de las reabsorciones verticales extremas tanto para el maxilar como para la mandíbula, permitiéndonos ofrecer una alternativa mínimamente invasiva reduciendo la morbilidad para el paciente, costes y tiempo. Otra ventaja de los implantes cortos es la preservación del hueso alveolar permitiendo y facilitando la vascularización de todo tejido periimplantario. Al mismo tiempo que posibilitan el re-tratamiento. Quizá la ventaja más importante es el mínima compromiso de la elasticidad del hueso alveolar en comparación con los implantes largos. Por lo tanto, los implantes cortos permiten la rehabilitación los maxilares al mismo tiempo que conservan su elasticidad. Sin embargo, es importante minimizar los fracasos tempranos de los implantes cortos. Esta importancia se debe en parte a que estos implantes se colocan en situaciones clínicas complejas tanto en la cantidad como en la calidad del hueso alveolar residual. Nuestro grupo de estudio ha desarrollado una superficie de implantes funcionalizada con iones de calcio (UnicCa®, BTI Biotechnology Institute). Un estudio clínico comparativo ha indicado que la superficie UnicCa® ha mejorado la estabilidad ósea peri-implantaria y la tasa de éxito de los implantes en situaciones clínicas desafiantes.19
Los implantes cortos y las carillas cerámicas comparten la conservación del tejido, la reducción del trauma, y la posibilidad de re-tratamientos. Así, el objetivo principal de este trabajo es presentar un caso clínico complejo que muestra no solo perdida de piezas dentales sino también un desgaste dental avanzado.
A PROPÓSITO DE UN CASO Paciente hombre de 52 años de edad que acude a la consulta demandando tratamiento implantológico para varias ausencias dentales y la restauración de los dientes remanentes (Figuras 1 y 2). El caso fue estudiado mediante modelos diagnósticos, exploración clínica y radiográfica.
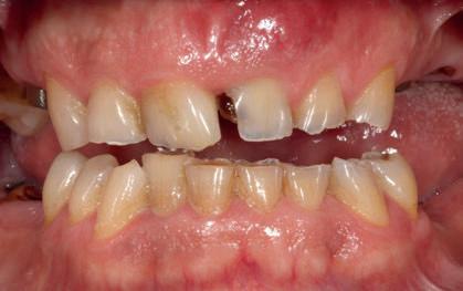
Figura 1. Una imagen intra-oral mostrando la ausencia de piezas dentales en los sectores posteriores, la presencia de diferentes grados de desgastes dentales y raíces dentales remanentes.

Figura 2. Imagen radiográfica de diagnóstico inicial mostrando la ausencia de piezas dentales en los sectores posteriores, la presencia de diferentes grados de desgastes dentales y raíces dentales remanentes. También muestra la presencia de varias lesiones periapicales.
Para la planificación quirúrgica se realiza una tomografía dental computarizada de haz de cono (CBCT) que fue analizada posteriormente mediante un software específico (BTI-Scan III). En el CBCT se aprecia la presencia de diferentes lesiones periapicales asociadas a raíces remanentes. Por ello se planificó la extracción de las raíces dentales remanentes. Para la restauración oral, se planificó la restauración de piezas dentales con carillas de cerámica y los espacios edéntulos con prótesis fija sobre implantes.

Figura 3. La planificación quirúrgica de los implantes dentales. Los implantes en el primer cuadrante y el implante en la posición del primer molar superior izquierdo se realizarían en el primer acto quirúrgico junto con la extracción de raíces dentales remanentes. Mientras el implante en la posición del segundo molar superior izquierdo se realizaría dentro de 4 meses para conseguir la regeneración del defecto resultado de la extracción e inoculación de la lesión periapical.
Figura 4. La planificación quirúrgica de los implantes dentales en el maxilar inferior.

En el primer acto quirúrgico fueron extraídas todas las raíces dentales remanentes y regeneradas con el uso de plasma rico en factores de crecimiento (Endort (PRGF). También se insertaron dos implantes (UnicCa®, BTI Biotechnology Institute, Vitoria) de 4,5 mm X 7,5 mm y 5,0 mm X 7,5 mm en las posiciones del primer y segundo molar del cuarto cuadrante, respectivamente. Mientras en el tercer cuadrante se insertaron dos implantes de 4,5 mm X 7,5 mm y 5,0 mm X 6,5 mm en las posiciones del primer y segundo molar, respectivamente. En el mismo acto quirúrgico se insertaron dos implantes de 4,0 mm X 7,5 mm y 4,5 mm X 7,5 mm en las posiciones del primer y segundo molar del primer cuadrante. Otro implante de 4,5 X 7,5 mm fue insertado en la posición del primer molar en el segundo cuadrante. La presencia de buena calidad ósea (tipo III) y la consecución de un torque de inserción mayor de 30 cm hizo posible la carga inmediata de los implantes en el maxilar inferior. Por ello, se insertaron componentes transepiteliales Multi-Im® (BTI Biotechnology Institute, Vitoria). La toma de medidas se hizo con la técnica de cubeta abierta y el uso de análogos
de impresión de Multi-Im®. La prótesis provisional metal-resina fue colocado durante las primeras 24 horas después de la inserción de los implantes dentales. Sin embargo, en el maxilar superior se decidió la realización de una carga tardía debido a la presencia de hueso alveolar de baja calidad.

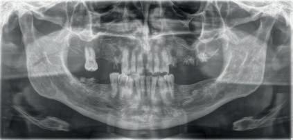
Figura 5. Imagen radiográfica mostrando el resultado del primer acto quirúrgico de la extracción de ricas dentales remanentes y la inserción de implantes dentales. Los implantes en el maxilar inferior recibieron carga inmediata sobre componentes transepiteliales Multi-Im®.
En la re-entrada quirúrgica para la segunda fase de los implantes en el maxilar superior a los 3-4 meses, podemos observar la regeneración los alveolos postextracción.

Figura 6. La planificación del implante en la posición del segundo molar superior izquierdo donde podemos observar la regeneración del reborde alveolar después de la extracción dental.
La buena calidad ósea del hueso regenerado (tipo III) y la consecución de buena estabilidad primaria permitió la realización de la carga inmediata del nuevo implante en el segundo cuadrante. También se colocaron componentes transpeitaliales Multi-IM® para la realización de la carga tardía del resto de implantes en el maxilar superior La Figura 7 muestra la prótesis provisional atornillada y la restauración de la dimisión vertical. Ahora se inició la restauración de las piezas dentales. Por ello, se decidió la realización de carillas de porcelana tal y como se muestre en la Figura 8.

Figura 7. Imagen clínica mostrando la restauración de los implantes dentales con prótesis provisional atornillada.

Figura 8. Imagen clínica mostrando la restauración de las piezas dentales con carillas de cerámica.
Finalmente, se realiza una prótesis por Cad-Cam con corrección de la emergencia de las chimeneas como prótesis definitiva, atornillada también y situada sobre los mismos transepiteliales que se utilizaron en la prótesis provisional para preservar el hermetismo logrado desde la fase inicial de la prótesis entre el implante y la rehabilitación.

Figura 9. La corrección de la emergencia de las chimeneas (color azul) en la prótesis definitiva con Cad-Cam.

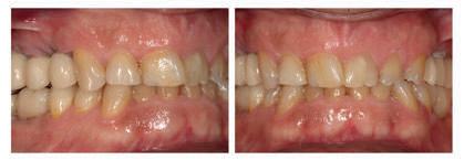
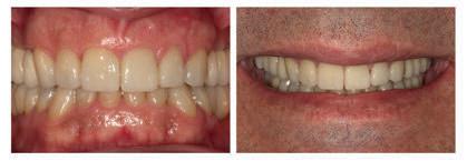
Figura 10. El caso terminado con la inserción de la prótesis definitiva sobre implantes.
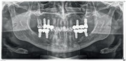
A los 12 meses podemos observar la estabilidad del hueso peri-implantaria y la supervivencia de los implantes dentales.

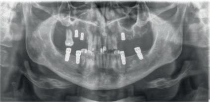
Figura 11. Imagen radiográfica mostrando la supervivencia de los implantes cortos y la estabilidad del hueso periimplantario a los 12 meses de seguimiento.
DISCUSIÓN En el presente estudio, técnicas mínimamente invasivas fueron empleadas para la restaurar los espacios edéntulos y el desgaste dental. El uso de las carillas de cerámica de espesor mínimo ofrece resultados estéticos satisfactorios y una alternativa mínimamente invasiva. En este estudio el uso de las carillas cerámicas ha resultado en una mejora estética y funcional de los dientes. Las propiedades mecánicas de este tipo de carillas permiten restaurar la guía anterior y lateral de la oclusión. También las características de la cerámica dental, como la estabilidad del color y las propiedades mecánicas y ópticas, hacen de este material una buena opción especialmente cuando se requiere una función y estética óptimas.20 El uso de implantes cortos y extra-cortos también ofrece resultados fiables a largo plazo. Anitua y Alkhraisat. han publicado varios trabajos con tiempo de seguimiento de 15 años donde analizaron la supervivencia y la pérdida ósea marginal de los implantes cortos.21-23 Los resultados indicaron una alta supervivencia y una pérdida ósea marginal < 1 mm. El uso de implantes cortos y extra-cortos ofrece también un tratamiento más rápido, más barato y con menos complicaciones quirúrgicas que la regeneración ósea y la inserción de implantes largos. La restauración de la oclusión con la rehabilitación protésica no solo es importante desde el punto de vista odontológico (funcional y estético) pero también podría tener un efecto preventivo en relación a la apnea obstructiva del sueño. La pérdida de piezas dentales podría comprometer mantener abiertas las vías aéreas superiores. 24 Los autores explicaron que este efecto se debe a las consecuencias de las atrofias verticales y horizontales de los procesos alveolares, la reducción en la dimensión vertical de la cara, la rotación hacia arriba de la mandíbula y el posicionamiento más posterior de la lengua en reposo. 25-28 La atrofia de los músculos maseteros en desdentados totales y los cambios en los tejidos blandos de los labios y el mentón aumentarían el riesgo de la respiración por la boca. 29, 30 La respiración crónica por la boca reduce la distancia entre el hueso hioideo y la mandíbula, y también reduce las áreas detrás del paladar y la lengua. 31, 32 Todos estos cambios reducen el espacio de la vía aérea superior. En un estudio reciente Sanders y cols. estudiaron la relación entre la perdida de piezas dentales y el riesgo de apnea obstructiva del sueño en una muestra representativa de la población estadounidense.24 Al considerar el grupo de sujeto con pérdida de entre 0 y 4 piezas dentales como el grupo control, la prevalencia ajustada de los pacientes con alto riesgo para la apnea obstructiva del sueño fue 25% más alta en aquellos pacientes con 5 a 8 piezas perdidas. Esta prevalencia fue de 36% más alta en los pacientes desdentados totales. Así el estudio concluyó que la perdida de piezas dentales puede ser un factor de riesgo independiente para la apnea obstructiva del sueño.
Por lo tanto, el uso de técnicas mínimamente invasivas debe ser cada vez más extendido en nuestra practica clínica diaria. Transformar lo que es complicado en algo sencillo debe premiar nuestro procedimiento clínico. Conservar la mayor cantidad de materia biológica (diente, hueso y encía) no solo minimiza el efecto del trauma quirúrgico sino también nos proporciona más margen de obra para el tratamiento de complicaciones posteriores.
REFERENCIAS • Anitua E, Alkhraisat MH, Orive G. Novel technique for the treatment of the severely atrophied posterior mandible. Int J Oral Maxillofac Implants. 2013 Sep-
Oct;28(5):1338-46. • Atwood DA. Reduction of residual ridges: a major oral disease entity. J Prosthet Dent 1971;26:266-279. • Kingsmill VJ. Post-extraction remodeling of the adult mandible. Crit Rev Oral Biol Med 1999;10:384-404. • Reich KM, Huber CD, Lippnig WR, Ulm C, Watzek G,
Tangl S. Atrophy of the residual alveolar ridge following tooth loss in an historical population. Oral
Dis 2011;17:33-44. • Helkimo E CG, Helkimo M. Bite force and state of dentition. Acta Odontol Scand 1977;35:297-303. • Akeson WH, Amiel D, Abel MF, Garfin SR, Woo SL.
Effects of immobilization on joints. Clin Orthop Relat
Res 1987;219:28-37. • Kingsmill VJ, Boyde A. Mineralisation density of human mandibular bone: quantitative backscattered electron image analysis. J Anat 1998;192 (Pt 2):245-256. • Pudwill ML, Wentz FM. Microscopic anatomy of edentulous residual alveolar ridges. J Prosthet Dent 1975;34:448-455.
• McAllister BS, Haghighat K. Bone augmentation techniques. J Periodontol 2007;78:377-396. • Anitua E, Alkhraist MH, Piñas L, Begoña L, Orive G.
Implant survival and crestal bone loss around extrashort implants supporting a fixed denture: the effect of crown height space, crown-to-implant ratio, and offset placement of the prosthesis. Int J Oral Maxillofac Implants. 2014;29:682-9. • Anitua E, Piñas L, Begoña L, Orive G. Long-term retrospective evaluation of short implants in the posterior areas: clinical results after 10-12 years. J Clin
Periodontol. 2014;41:404-11. • Taschieri S, Corbella S, Molinari R, Saita M, Del Fabbro M. Short implants in maxillary and mandibular rehabilitations: interim results (6 to 42 months) of a prospective study. J Oral Implantol. 2015;41:50-5. • Chen S, Ou Q, Wang Y, Lin X. Short implants (5-8 mm) vs long implants (≥10 mm) with augmentation in atrophic posterior jaws: A meta-analysis of randomised controlled trials. J Oral Rehabil. 2019;46:11921203. • Anitua E, Piñas L, Orive G. Retrospective study of short and extra-short implants placed in posterior regions: influence of crown-to-implant ratio on marginal bone loss. Clin Implant Dent Relat Res. 2015;17:102-10. • Anitua E, Alkhraisat MH, Orive G. Long-term outcome of transosteotomy bone augmentation of the inferior border of the severely resorbed mandible.
Implant Dent. 2015;24:236-9. • Anitua E, Alkhraist MH, Piñas L, Orive G. Association of transalveolar sinus floor elevation, platelet rich plasma, and short implants for the treatment of atrophied posterior maxilla. Clin Oral Impl Res 2015; 26:69–76. • Fan T, Li Y, Deng WW, Wu T, Zhang W. Short Implants (5 to 8 mm) Versus Longer Implants (>8 mm) with Sinus Lifting in Atrophic Posterior Maxilla: A
Meta-Analysis of RCTs. Clin Implant Dent Relat Res. 2017;19:207-215. • Lemos CA, Ferro-Alves ML, Okamoto R, Mendonça
MR, Pellizzer EP. Short dental implants versus standard dental implants placed in the posterior jaws:
A systematic review and meta-analysis. J Dent. 2016;47:8-17. • Anitua E, Piñas L, Alkhraisat MH. Early marginal bone stability of dental implants placed in a transalveolarly augmented maxillary sinus: a controlled retrospective study of surface modification with calcium ions. Int J ImplantDent. 2017;3:49. • da Cunha LF, Pedroche LO, Gonzaga CC, Furuse AY.
Esthetic, occlusal, and periodontal rehabilitation of anterior teeth with minimum thickness porcelain laminate veneers. J Prosthet Dent. 2014
Dec;112(6):1315-8. • Anitua E, Alkhraisat MH. 15-year follow-up of short dental implants placed in the partially edentulous patient: Mandible Vs maxilla. Ann Anat. 2019;222:88-93. • Anitua E, Alkhraisat MH. Single-unit short dental implants. Would they survive a long period of service?
Br J Oral Maxillofac Surg. 2019;57:387-388. • Anitua E, Alkhraisat MH. Fifteen-Year Follow-up of
Short Dental Implants in the Completely Edentulous
Jaw: Submerged Versus Nonsubmerged Healing. Implant Dentistry. 2019 ;28:551-555. • Sanders AE, Akinkugbe AA, Slade GD, Essick GK.
Tooth loss and obstructive sleep apnea signs and symptoms in the US population. Sleep Breath 2016; 20:1095-102. • Cawood JI, Howell RA. A classification of the edentulous jaws. Int J Oral Maxillofac Surg 1988;17:232236. • Douglass JB, Meader L, Kaplan A, Ellinger CW. Cephalometric evaluation of the changes in patients wearing complete dentures: a 20-year study. J Prosthet
Dent 1993;69:270-275. • Kotsiomiti E, Farmakis N, Kapari D. Factors related to the resting tongue position among partially and completely edentulous subjects. J Oral Rehabil 2005;32:397-402. • Tallgren A, Lang BR, Walker GF, Ash MM, Jr. Roentgen cephalometric analysis of ridge resorption and changes in jaw and occlusal relationships in immediate complete denture wearers. J Oral Rehabil 1980;7:77-94. • Bhoyar PS, Godbole SR, Thombare RU, Pakhan AJ.
Effect of complete edentulism on masseter muscle thickness and changes after complete denture rehabilitation: an ultrasonographic study. J Investig Clin
Dent 2012;3:45-50. • Tallgren A, Lang BR, Miller RL. Longitudinal study of soft-tissue profile changes in patients receiving immediate complete dentures. Int J Prosthodont 1991;4:9-16. • Kim EJ, Choi JH, Kim KW, Kim TH, Lee SH, Lee HM, et al. The impacts of open-mouth breathing on upper airway space in obstructive sleep apnea: 3-D MDCT analysis. Eur Arch Otorhinolaryngol 2011;268:533539. • Lee SH, Choi JH, Shin C, Lee HM, Kwon SY, Lee SH. How does open-mouth breathing influence upper airway anatomy? Laryngoscope 2007;117:1102-1106.
NOTAS 1 Práctica privada en implantología oral, Fundación Eduardo Anitua, Vitoria, España. 2 University Institute for Regenerative Medicine and Oral Implantology - UIRMI (UPV/EHUFundación Eduardo Anitua), Vitoria, Spain 3 BTI Biotechnology institute, Vitoria, España.
