De overwinning op kanker! Deel 1: Iets onvoorstelbaars wordt mogelijk

Page 1

De overwinning op kanker! Dr. Rath HealthFoundation
Deel 1: Deel1Deel1: Iets onI Ie Iet o onv onvoorstelbaars onvo onvoo onvoor onvoors onvoorst onvoorsteIets onvoorstel onvoorstelb onvoorstelba onvoorstelbaa onvoorstelbaar w s ordt mogelijkwo wor word wordt m mowordt mog moge mogel mogeli mogelij mogelijk
Dr. Matthias Rath en Dr. Aleksandra Niedzwiecki

De overwinning op Kanker

Deel 1 – Iets onvoorstelbaars wordt mogelijk

Tweede druk.

© 2015 Dr. Matthias Rath en Dr. Aleksandra Niedzwiecki. ISBN 978-90-76332-89-5

Uitgeverij: Dr. Rath Education Services B.V. Postbus 656 NL-6400 AR Heerlen Tel.:0031-457-111 223 Fax:0031-457-111 119

E-Mailinfo@rath-eduserv.com books@rath-eduserv.com Internet:www.drrathbooks.com

Alle rechten voorbehouden. Dr. Rath Health Foundation. Enkele pagina's van dit boek mogen voor privé- en niet-commerciële doeleinden gekopieerd worden. Ieder direct of indirect commercieel gebruik van dit boek of gedeelten daarvan, is in iedere vorm zonder voorafgaande schriftelijke goedkeuring van de auteurs verboden.

Dit boek is geen vervanging voor medisch advies. Wij adviseren de lezer om zich met vragen over gezondheid te wenden tot een arts of therapeut, in het bijzonder wanneer symptomen van ziekte een diagnose of medische behandeling vereisen. De auteurs en de uitgeverij zijn niet aansprakelijk voor de gevolgen van het gebruik van de informatie in dit boek.

4

De overwinning op Kanker!

– Deel 1 –Iets onvoorstelbaars wordt mogelijk Dr. Matthias Rath Dr. Aleksandra Niedzwiecki

5

“We zouden nog een tijd kunnen beleven waarin we niet meer als misdadigers achterom hoeven te kijken wanneer wij hardop zeggen dat twee maal twee vier is”.

Uit “Het leven van Galileï” door Bertolt Brecht

6

Inhoudsopgave

Inleiding 9

Hoofdstuk 1 . . . . . . . . . . . . . . . . . . . . . . . . . . . 17

Feiten waar niemand omheen kan.

Hoofdstuk 2 . . . . . . . . . . . . . . . . . . . . . . . . . . . . 45 De medische doorbraak naar natuurlijke beheersing van kanker.

Hoofdstuk 3 . . . . . . . . . . . . . . . . . . . . . . . . . . 109 Wetenschappelijke feiten die deze doorbraak onomkeerbaar maken.

Bijlage 177 Belangrijke documentatie.

7
De overwinning op kanker! Deel 1: Iets onvoorstelbaars wordt mogelijk 8
Dr. Matthias Rath Dr. Aleksandra Niedzwiecki

Inleiding

Het komt niet vaak voor in de geschiedenis dat er een ontdekking wordt gedaan die leidt naar natuurlijke beheersing van kanker.

Dit boek beschrijft deze ontdekking.

Deze medische doorbraak heeft ertoe geleid dat de wetenschappers die de basis van de cellulaire mechanismen hebben ontdekt, nu de wetenschappelijke bevestiging van nieuwe therapievormen kunnen presenteren, dankzij fundamenteel onderzoek dat uiteindelijk tot succes leidt bij de behandeling van kankerpatiënten.

Dit boek is het verslag van de wetenschappers die dit baanbrekend onderzoek hebben verricht.

Één van beide auteurs, dr. Rath, is verantwoordelijk voor de doorslaggevende ontdekking naar natuurlijke beheersing van kanker. Dr. Niedzwiecki heeft de wetenschappelijke bewijsvoering van deze ontdekking gecoördineerd.

Het “einde van de kankerepidemie” wordt ons niet cadeau gedaan. De mens moet het recht bevechten om in een wereld zonder angst voor kanker te mogen leven. Dit fundamentele mensenrecht zal op enig ogenblik worden verkregen.

Dat ogenblik is nu.

Inleiding
9

De overwinning op kanker! Deel 1: Iets onvoorstelbaars wordt mogelijk

Om het einde van de kankerepidemie te realiseren, is het opmerkelijk genoeg niet nodig nieuwe medische hightech procedures te ontwikkelen om deze ziekte de baas te worden.

De beslissende doorbraak op weg naar een werkzame preventie, beheersing en uiteindelijk het uitroeien van kanker, berust op een nieuw begrip van de cruciale rol van microvoedingsstoffen. Het gaat dus om natuurlijke stoffen die al tientallen jaren bekend zijn.

Het feit, dat de bijzondere rol van microvoedingsstoffen bij de beheersing van kanker tot nu toe niet werd begrepen – laat staan dat die bij de medische preventie en behandeling werd toegepast – is geen toeval. Deze doorslaggevende aanzet werd – in het belang van de miljardenomzet van de farmaceutische investeringshandel – doelbewust genegeerd en achtergehouden.

Ziekten worden door de farmaceutische multinationals als een markt voor gepatenteerde farmaceutische preparaten beschouwd en uitgebuit. In het geval van kanker komt daar nog een bijzonder afkeurenswaardig aspect bij. In de gedachten van mensen betekent de diagnose “kanker” tot op heden een doodvonnis.

Dit is geen toeval: De angst voor de dood is in wezen een onderdeel van het “businessplan”. Uit angst hiervoor, onderwerpen miljoenen kankerpatiënten zich letterlijk aan, om het even welke behandelingen – hoe twijfelachtig ze ook zijn mogen – met inbegrip van de hoogst giftige chemotherapie.

10

De documentatie in dit boek zal dit bedrieglijk argument voor eens en altijd de kop indrukken. Het zal tegelijkertijd een bij drage leveren aan de bevrijding van de mens uit de noodlottige afhankelijkheid van de “farma(ceutische) handel in ziekten”.

Het einde van de “kanker-epidemie” betekent een van de grootste stappen voorwaarts in de geneeskunde. Meer dan 150 jaar geleden heeft Louis Pasteur ontdekt dat micro-organismen de veroorzakers van infectieziekten zijn. Met die ontdekking effende hij de weg voor de werkzame bestrijding van talrijke epidemieën die de mensheid duizenden jaren bedreigd hadden. Toch duurde het nog ruim 25 jaar voordat de ontdekking van Pasteur door een geneeskunde met veel achterhaalde dogma's, geaccepteerd werd.

De beroemde filosoof Arthur Schopenhauer heeft al beschreven hoe alle vorderingen stelselmatig drie fasen doorlopen: Een nieuw denkbeeld wordt eerst belachelijk gemaakt, daarna wordt het bestreden en tenslotte wordt het na verloop van tijd als vanzelfsprekend beschouwd. Het einde van de “kankerepidemie” vormt hierop geen uitzondering.

Inleiding 11
De auteurs danken op de eerste plaats Dr. Waheed Roomi (tweede van links) en zijn researchteam dat het onderzoek naar kanker verricht.

De overwinning op kanker! Deel 1: Iets onvoorstelbaars wordt mogelijk

De beslissende ontdekkingen van natuurlijke beheersing van kanker werden al twintig jaar geleden gedaan. Wij hebben ons toen ingespannen om grote farmaceutische bedrijven ertoe te bewegen, zich in te zetten om kanker uit te bannen. Die pogingen zijn alle mislukt. Achteraf gezien is dat natuurlijk niet verwonderlijk, want die ontdekkingen vormen een bedreiging voor de multimiljarden-markt van gepatenteerde chemische stoffen.

Het duurde bijna een decennium voordat wij de financiering van het onderzoekinstituut in Californië rond hadden, waarna wij eindelijk konden starten met een omvangrijk en onafhankelijk researchproject naar kanker.

Al na twee jaar, eind 2001 kregen wij voor het eerst de bevestiging dat men kanker op natuurlijke wijze onder controle kan krijgen. Op 8 maart 2002 werd deze van levensbelangrijke informatie paginagroot gepubliceerd in USA Today – het grootste dagblad ter wereld.

Het belang van deze doorbraak kan wellicht het beste worden afgemeten aan de heftige reacties vanuit de farmaceutische industrie met haar leger aan lobbyisten en handlangers van de conventionele geneeskunde, die sterk worden beïnvloed door de farmaceuten. In de afgelopen tien jaar werden door de farmaceutische industrie meer dan 100 rechtszaken tegen ons aangespannen. Deze waren vooral gericht tegen deze ontdekking, echter zonder resultaat. De inhoud van dit boek wilde men met alle beschikbare middelen onderdrukken en de hier weergegeven kennis mocht nooit wereldwijd bekend worden. De publicatie van dit boek maakt duidelijk, dat wij het bij het juiste eind hadden.

12

Een kopie van onze aankondiging betreffende de doorbraak aangaande het beheersen van kanker langs natuurlijke weg in USA Today, op 8 Maart 2002. Door deze informatie rechtstreeks aan het publiek aan te bieden wilden wij zeker stellen, dat de hele wereld ervan zou horen.

Inleiding
13

De overwinning op kanker! Deel 1: Iets onvoorstelbaars wordt mogelijk

Meer dan tien jaar juridische strijd van de farmaceutische industrie heeft niet het gewenste effect opgeleverd omdat wij gelijk hadden! Dat dit boek geschreven kon worden en deze belangrijke informatie nu verspreid kan worden is een succes voor de hele mensheid.

Wij zijn ervan overtuigd dat dit boek mensen over de hele wereld de mogelijkheid geeft, actie te ondernemen. Onze gezamenlijke doelstelling moet zijn om, na een eeuw afhankelijkheid van economische belangen, een eind te maken aan deze verwoestende praktijken waarbij het maken van winsten voor een kleine groep aandeelhouders, belangrijker werd gevonden dan het leven van miljoenen mensen.

Op de eerste plaats zal dit boek de psychologische afhankelijkheid van de ‘handelsinvestering in de kankerepidemie’ doorbreken. Het kan een stimulans zijn voor soortgelijke grensverleggende vondsten in de strijd tegen andere volksziekten door toepassing van natuurlijke therapieën.

Zo kan dit boek een bijdrage leveren aan een nieuw onafhankelijk zorgstelsel dat wereldwijd, de gezondheid van miljarden mensen op de eerste plaats stelt, in het belang van de huidige en van de toekomstige generaties.

Santa Clara, Californië. Herfst 2011

Matthias Rath en Aleksandra Niedzwiecki.

14
Inleiding 15

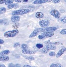
Geven sterren rood licht?

‘Wetenschap als kunst’ is een idee van August Kowalczyck ‘Geven sterren rood licht?’ is een microscopische afbeelding van kankercellen, die onder invloed van microvoedingsstoffen, een natuurlijke dood ondergaan.

De foto werd gemaakt in het Dr. Rath Onderzoek Instituut in Santa Clara Calfornië, USA.

De gehele kunstgalerij is te zien op: www.dr-rath-humanities-foundation.org/exhibition/index.html.

Feiten, waar niemand omheen kan I.

De overwinning op kanker! Deel 1: Iets onvoorstelbaars wordt mogelijk

Feit nr 1:

Kanker is op twee na, de meest voorkomende doodsoorzaak in de geïndustrialiseerde wereld.

• Begin 21e eeuw blijft de kankerepidemie een van de grootste doodsoorzaken ter wereld.

•Volgens de Wereld Gezondheid Organisatie (WHO) sterven over de hele wereld elk jaar 7,5 miljoen mensen aan kanker. Dit is slechts in geringe mate minder dan de sterfte als gevolg van infectieziekten.

•In de Verenigde Staten en Europa zijn de aantallen nog indrukwekkender – jaarlijks 5,6 miljoen doden als gevolg van kanker. Dat betekent dat elke derde man of vrouw in de westerse wereld aan deze ziekte overlijdt.

Let op: elk afzonderlijk geval in deze statistieken betekent een verloren mensenleven.

18

De ontnuchterende statistieken van de Wereld Gezondheid Organisatie (WHO) over doodsoorzaken.

In fecties Infecti es

Hart , en

vaat ziekten

And ere ziekten Ander e ziekten

Kanker

A In de hele wereld sterven elk jaar 7,5 miljoen mensen als gevolg van de nimmer aflatende kankerepidemie

Kanker

, en vaatziekt en

Hart-

B. In Noord Amerika en Europa sterven elk jaar 5,6 miljoen mensen aan de nog steeds voortdurende kankerepidemie.

Bron : WHO sterfte statistieken over 2008.

Hoofdstuk 1 - Feiten
kan 19
waar niemand omheen

De overwinning op kanker! Deel 1: Iets onvoorstelbaars wordt mogelijk

De omvang van de kankerepidemie

Aan het begin van de 21e eeuw blijft kanker nog steeds een van de grootste plagen ter wereld. Het is bijna onmogelijk om een goed idee over de omvang van deze epidemie te krijgen. Om de veelomvattendheid ervan aan u duidelijk te maken, kijken we naar het aantal kankerpatiënten dat ieder jaar sterft en vergelijken dit met het aantal bewoners van de grootste steden ter wereld.

Ieder jaar kost de kankerepidemie wereldwijd 7,5 miljoen mensenlevens. Dit zijn de huidige bevolkingscijfers van enkele van de grootste steden ter wereld: Tokio 8,9 miljoen, Mexico City 8,9 miljoen, New York 8,4 miljoen, Lagos (Nigeria) 8 miljoen, Londen 7,8 miljoen, Lima (Peru) 7,6 miljoen, Hong Kong 7 miljoen, Bangkok (Thailand) 7 miljoen, Cairo (Egypte) 6,8 miljoen, Rio de Janeiro (Brazilië) 6,3 miljoen.

Stel U voor, dat U in een van deze gigantische steden woont waar u uren moet rijden om van het ene eind naar het andere eind te komen. Alle mensen die in deze stad wonen verdwijnen elk jaar volledig als gevolg van deze nooit overwonnen ziekte. Gedurende de afgelopen halve eeuw zijn er meer dan 300 miljoen mensen overleden aan kanker – Dit kan men vergelijken met de volledige vernietiging van de totale bevolking van Noord Amerika.

Afgezien van de onvoorstelbare prijs in mensenlevens, is er een verstikkende economische last verbonden aan deze ziekte voor iedere patiënt, gemeenschap en land. De wereldwijde kosten voor kankermedicijnen waren in 2010: 56 miljard US dollars. De economische invloed van de kankerepidemie – exclusief alle medische kosten – was zelfs nog duizelingwekkender: Met 895 miljard US dollars was kanker veruit de grootste kostenpost van alle ziekten. 20

Stelt u zich eens voor

USA

Meer dan 300 miljoen inwoners

Ieder jaar eist de kankerepidemie zo’n groot aantal levens op, dat het getal overeenkomt met het aantal bewoners enkele van de grootste steden ter wereld. In de afgelopen 50 jaar van ‘chemotherapie’ tijdperk, zijn er wereldwijd net zoveel mensen aan kanker overleden als er inwoners zijn in de Verenigde Staten van Amerika.

kan 21
Hoofdstuk 1 - Feiten waar niemand omheen
New York Tokio Rio de Janeiro Londen

Vergelijking van de kankerepidemie in enkele Europese landen

Jaarlijkse aantallen doden door kanker 7,5 Mio. 2,5 Mio.

In vergelijk met Duitse steden

5 Mio.

Frankfurt+Stuttgart+Düsseldorf+Dortmund+8 andere steden van deze omvang

Bremen+Dresden+Hannover+Neurenberg+10 andere steden van deze omvang

Duisburg + Bochum + Wuppertal + Bonn + 15 andere steden van deze omvang

Mannheim + Karlsruhe + Münster + 21 andere steden van deze omvang

Augsburg + Aken + Gelsenkirchen+ 25 andere steden van deze omvang

Braunschweig+Chemnitz+Kiel+Krefeld+26 andere steden van deze omvang

Op de voorgaande pagina werd de omvang van de kankerepidemie vergeleken met het aantal bewoners in grote steden. Maar kanker komt overal voor, ook bij u in de buurt, in elke stad, gemeente en provincie. Wanneer we het aantal kankerslachtoffers wereldwijd in 2008 vergelijken met het inwonertal van Nederland en België blijkt al snel dat we een lange lijst van

De overwinning op kanker! Deel 1: Iets onvoorstelbaars wordt mogelijk 22
Berlijn + Hamburg + München + Keulen

In vergelijk met Oostenrijkse steden

In vergelijk met Zwitserse steden

Zürich en 4 andere steden van deze omvang

Genève + Basel en 10 andere steden van deze omvang

Deze aantallen komen overeen met de helft van de Nederlandse bevolking en ¾ van de Belgische. Al deze mensen zouden kunnen worden gered als de kankerepidemie op werkzame manier een halt kan worden toegeroepen.

Wenen en 4 andere steden van deze omvang steden zouden moeten samenstellen om het gewenste aantal te bereiken. Kort samengevat komt het er op neer, dat in één jaar tijd ruwweg de helft van de Nederlandse bevolking zou overlijden en ¾ van de Belgische. Wij hebben deze vergelijking vooral gemaakt om duidelijk te maken dat er een oplossing gevonden moet worden en dat die oplossing de hoogste urgentie vereist.

1 - Feiten waar niemand omheen kan 23
Hoofdstuk
Graz + Linz + Salzburg en 9 andere steden van deze omvang

De overwinning op kanker! Deel 1: Iets onvoorstelbaars wordt mogelijk

Feit nr. 2:

De kankerepidemie breidt zich nog steeds uit, ondanks sensatieberichten in de media over ‘vorderingen’ in de strijd tegen kanker.

Wat betekent dit?

•Wanneer een ziekte blijft voortschrijden, betekent dit dat men de oplossing voor het onder controle houden van ziekteproces nog niet heeft ontdekt of dit nog niet in de medische praktijk wordt toegepast.

•Conventionele behandelingen, zoals chemotherapie en bestraling, die al 50 jaar lang op kankerpatiënten toegepast worden, zijn duidelijk niet in staat geweest om de kankerepidemie terug te dringen.

•Daarom kunnen chemotherapie en bestraling niet langer worden beschouwd als een geloofwaardig antwoord op de bestrijding van kanker.

•Er bestaat een objectieve en dringende behoefte aan een nieuwe, werkzame benadering voor de preventie en behandeling van kanker.

24
6 September, 2008

Toename sterfte als gevolg van kanker bij verschillende leeftijdsgroepen van 1970 tot 2000

Leeftijd kankerpatiënten 70 79

Leeftijd kankerpatiënten 60 69

Leeftijd kankerpatiënten 50 59

1970 2000

Statistische gegevens uit de USA. Voor Europa gelden vergelijkbare cijfers.

Bron: Journal of the American Medi cal Association, 2005.

1
Feiten
kan 25
Hoofdstuk
-
waar niemand omheen

Feit nr. 3:

Het doel van chemotherapie en bestraling is om kankercellen te doden door het hele lichaam te vergiftigen.

Het is opmerkelijk dat zowel bestraling als 'chemotherapie' slechts één enkel doel hebben: het doden kankercellen samen met miljarden andere, gezonde cellen in ons lichaam. Met deze uiterst giftige behandelmethode worden alle cellen in het lichaam van patiënten zonder onderscheid te maken gedood. Deze behandeling kan men vergelijken met een schot hagel in plaats van een doelgerichte treffer.

Erger nog, chemotherapie beschadigt vooral de gezonde cellen in ons lichaam die zich snel vermenigvuldigen, zoals de witte bloedlichaampjes van het immuunsysteem. Juist als het lichaam de grootste behoefte heeft aan een efficiënte afweer, worden de immuuncellen systematisch ondermijnd en vernietigd.

Iedereen kan begrijpen, dat wanneer een geneeskundige behandeling wordt toepast die werkt als een schot hagel, dit slechts één ding betekent: men heeft onvoldoende inzicht in de oorzaak en het ontwikkelingsproces van de ziekte, waardoor er geen werkzame therapie kan worden ontwikkeld die zich uitsluitend richt op de vernietiging van kankercellen.

Patiënten worden om de tuin geleid en krijgen valse hoop door misleidende begrippen als chemo-‘therapie’ of bestralings-‘therapie’, terwijl het in geen van beide gevallen gaat om een effectieve genezing. De genezing van kanker is in de laatste decennia op een doodlopend spoor geraakt.

26
De overwinning op kanker! Deel 1: Iets onvoorstelbaars wordt mogelijk

Het doodlopende spoor van de conventionele behandeling van kanker

Be str aling en c he mother apie do den nie t all een k anke rce lle n maar oo k d e gezo nd e c ell en in het lic haam van p at iënten.

Hoofdstuk 1 - Feiten waar niemand omheen kan 27
Kankercel Gezonde cel Chemoth erapieBestraling

De overwinning op kanker! Deel 1: Iets onvoorstelbaars wordt mogelijk

Feit nr. 4:

Chemotherapie is buitengewoon giftig

Een hele reeks van uiterst giftige chemicaliën wordt tegenwoordig over de hele wereld aan miljoenen kankerpatiënten toegediend als 'chemotherapie'. Daarbij wordt de onverdedigbare belofte gedaan dat dit kanker genezen kan. Onder deze stoffen vinden we de meest giftige stoffen, die tegenwoordig bekend zijn. De eerste stof die bij de chemotherapie bij kanker werd ingezet, werd verkregen uit mosterdgas, dat als chemisch wapen werd gebruikt tijdens de eerste Wereldoorlog. Afgeleiden daarvan zijn mechlorethmine, cyclophosphamide, chlorambucil en ifosfamide en andere substanties die nog steeds aan kankerpatiënten worden toegediend.

Naast deze afgeleiden van mosterdgas bestaan er verschillende andere groepen van hoogst giftige chemicaliën, die bij kankerpatiënten worden toegepast. Al deze chemicaliën hebben de eigenschap dat zij het erfelijke materiaal (DNA) aantasten en andere belangrijke biologische processen in het lichaam verstoren.

De buitengewone giftigheid van chemotherapie wordt weerspiegeld door de ‘veiligheidsvoorschriften voor kankerpatiënten' van bijvoorbeeld het ‘Amerikaanse Genootschap voor Kanker’ (www.cancer.org). Daarin worden patiënten, familieleden en zorgverleners, gewezen op de gezondheidsrisico’s die zij lopen als aan deze chemomedicijnen blootgesteld zijn. Deze risico’s zijn onder andere DNA beschadiging, geboorteafwijkingen, het ontstaan van nieuwe tumoren en schade aan organen. Aan de behandelaar wordt dringend geadviseerd om “speciale handschoenen, veiligheidsbrillen, en beschermende kleding te dragen wanneer zij werken en behandelen met chemotherapie”.

De waarschuwing voor patiënten, familieleden en verplegend personeel luidt: De afscheiding van deze chemicaliën door de huid, de urine, de ontlasting, tranen en zelfs via sperma en vaginaal vocht is giftig.

28

De schadelijke bijwerking van chemotherapie

Mosterdgasmolecule, de herkomst van chemotherapie. Tijdens WO I stierven duizenden soldaten door dit chemische wapen.

Zorgverleners die werken met chemotherapie, moeten speciale handschoenen dragen om zich te beschermen tegen het gif (links) De afbeelding rechts laat de verbrande hand zien van iemand die onbeschermd in directe aanraking met chemostoffen .

Zelfs de verkoop van beschermende kleding en speciale verpak kingen voor de afvalverwerking van middelen gebruikt voor de chemotherapie is een miljoenenhandel

Hoofdstuk 1 - Feiten waar niemand omheen kan 29

De overwinning op kanker!

Deel 1: Iets onvoorstelbaars wordt mogelijk

Schadelijke bijwerkingen van chemotherapie

Meestal worden medicijnen per infuus toegediend via de aders van de arm. Dit is niet mogelijk bij chemotherapie vanwege de hoge giftigheidsgraad van de chemicaliën die de wanden van de bloedvaten zouden ‘verbranden’ met ontstekingen en vaatverstopping als gevolg.

Om deze stoffen aan de kankerpatiënt toe te dienen, wordt daarom een speciale infuus-methode toegepast, de zogenaamde ‘Hickman Katheter’ Deze speciale katheter wordt rechtstreeks ingebracht in het grootste bloedvat in ons lichaam, de vena cava (bovenste holle ader). De vena cava voert het bloed terug naar de rechter hartkamer. Vanwege de grote diameter (ca. 25 mm) van dit bloedvat wordt de giftige substantie direct zo sterk verdund, dat er op de plek waar het wordt ingebracht geen onmiddellijke weefselschade wordt veroorzaakt.

Met deze truc is het mogelijk om deze giftige stoffen geleidelijk toe te dienen en daarmee ook in het gehele lichaam te verspreiden. Terwijl deze chemische stoffen vele uren, soms zelfs dagen, door het lichaam circuleren, met als doel het vernietigen van cellen, is het niet verwonderlijk dat chemotherapie ernstige bijwerkingen veroorzaakt. De meest voorkomende zijn:

•Aantasting van het beenmerg waar bloedcellen worden aangemaakt met als gevolg - Verzwakt immuunsysteem - Verhoogde vatbaarheid voor infecties - Bloedarmoede - Verhoogde bloedingsneiging

•Beschadiging van organen

- Beschadiging van het hart, kortademigheid, oedeem, hartritmestoornissen, - Schade aan longen, ademhalingsproblemen en koorts

- Schade aan lever, nieren en

andere organen - Hersenbeschadiging gepaard met geheugenverlies, verminderde mentale functie, depressie - Slechter zien en horen - Schade in het hele maagdarmkanaal met ontstekingen en zweren, braken, diarree als gevolg - Onvruchtbaarheid - Gewichtsverlies, anorexie

•Bevordering van de groei van nieuwe kankergezwellen overal in het lichaam

•De dood

30

Wat is een 'Hickman' Katheter ?

Hickman Katheter:

De meeste chemotherapie medicijnen zijn zo giftig, dat ze alleen met deze speciale katheter in de bloedbaan van de patiënt gebracht kunnen worden.

kan 31
Hoofdstuk 1 - Feiten waar niemand omheen

Bij het lezen van de voorgaande pagina's zult u zich zeker afgevraagd hebben: hoe is het mogelijk dat iemand vrijwillig akkoord gaat met het toedienen van zulke giftige chemicaliën in zijn lichaam?

Sterker nog hoe bestaat het dat men zomaar heeft toegestaan dat de vergiftiging van het menselijk lichaam een zogenaamde standaard ‘therapie’ voor kanker werd? En dat al meer dan een halve eeuw lang!

Het antwoord op deze vragen is ontnuchterend: Tot op heden betekent de diagnose kanker vroeger of later een doodvonnis. Iedere patiënt, die deze diagnose te horen krijgt, raakt onmiddellijk in toestand van angst en wanhoop.

In een dergelijke psychologische toestand accepteert een patiënt zo ongeveer elke vorm van “therapie” – ook wanneer die therapie zelf bijzonder giftig en mogelijk dodelijk is. De hoofdzaak is immers dat de dreiging van een zekere dood vertraagd wordt, ook al is het maar voor een korte tijd.

Nog erger is, dat voor vele vormen van kanker inmiddels vaststaat dat chemotherapie het leven van de patiënt helemaal niet verlengt. Dat betekent dat patiënten met prostaatkanker, huidkanker (melanoom), blaaskanker, nierkanker, kanker van de alvleesklier dezelfde begrensde levensduur hebben, of zij nu de chemo toegediend krijgen of niet*.

Waarom kankerpatiënten vrijwillig zulke giftige behandelingen ondergaan
De
32
overwinning op kanker! Deel 1: Iets onvoorstelbaars wordt mogelijk
* www.ncbi.nlm.nih.gov/pubmed/15630849

De psychologische oorlog met de kankerepidemie

1. De angst voor de zekere dood door kanker is een voorwaarde voor het accepteren van de zwaar giftige en potentieel dodelijke chemotherapie.

2.Voorwaarde voor het voortbestaan van de miljardeninvesteringen in chemotherapieën is dat de perceptie van diagnose kanker als doodvonnis blijft voortbestaan.

3.Iedere medische doorbraak, die kanker tot een beheersbare ziekte maakt, zal onomstotelijk het idee dat deze ziekte een ‘doodsvonnis’ betekent, wegnemen en daarmede tevens de noodlottige afhankelijkheid van miljoenen patiënten van deze handel in giftige chemotherapie.

4.Omdat kanker tot nu toe een ‘doodsvonnis’ betekent, is de noodzaak van een volledig nieuwe wetenschappelijke aanpak urgent. Een nieuwe aanpak is ook vereist om eindelijk de ‘psychologische oorlog’ te beëindigen die de farma-lobby tegen de mensen voert voor het behoud van de astronomische winsten uit de chemo-handel.

1
kan 33
Hoofdstuk
- Feiten waar niemand omheen

De overwinning op kanker! Deel 1: Iets onvoorstelbaars wordt mogelijk

Feit nr. 5:

Het

gebruik van giftige chemotherapie stuwt de kosten voor de gezondheidszorg omhoog.

De giftigheid van de chemotherapie tast niet een enkel orgaan in uw lichaam aan, maar alle organen en cellen. Voor de meeste patiënten gaat elke chemotherapie behandeling niet alleen gepaard met pijn en andere ernstige lichamelijke ongemakken, maar ook met een hele reeks nieuwe ziekten. Sommige van deze ziekten, die het gevolg zijn van de bijwerking van ‘chemotherapie’, veroorzaken onherstelbare en blijvende schade aan organen. Deze schade zal levenslang blijven bestaan.

Om de bijwerkingen van chemotherapie tegen te gaan worden weer nieuwe farmaceutische preparaten voorgeschreven. De meest gebruikte farmaceutische middelen die worden voorgeschreven gedurende en na de chemotherapie zijn:

• Alle soorten antibiotica, tegen veelvuldige infecties als gevolg van een verstoord en beschadigd immuunsysteem.

• Pijnstillers, inclusief morfine, om (ondragelijke) pijn te verzachten, die ontstaat als gevolg van de chemische vergiftiging van het lichaam.

• Steroïden en andere ontstekingsremmers voor het bestrijden van de stelselmatige ontsteking van gewrichten en andere organen door de chemotherapie.

• Antidepressiva en andere psychofarmaca om de traumatische lichamelijke en psychologische gevolgen van chemotherapie draaglijk te maken.

Daarnaast worden er talloze ingrijpende behandelingen uitgevoerd zoals beenmergtransplantatie. 34

De giftigheid van chemotherapie veroorzaakt de vraag naar nog meer medicijnen

De bijwerking van de giftige van “chemo” veroorzaakt een reeks nieuwe symptomen die het voor schrijven van nog meer medica menten noodzakelijk maakt.

Rechts: in de laatste decennia verschenen meerdere oplagen van het medische handboek voor de behandeling van bijwerkingen als gevol g van chemotherapie en bestraling. De subtitel van het boek is: een gids voor patiënten en hun verwanten.

P ijnstillers

Ster oïden /Pred niso n

Andere o ntstekings rem mers

Antibio tica

Bloedtran sfusies

Antidepr essiva

Tal van and ere pr oducten

1 - Feiten
omheen kan 35
Hoofdstuk
waar niemand
{
Een nieuwe farmaceutische markt voor de bijwerkingen van chemotherapie

De overwinning op kanker! Deel 1: Iets onvoorstelbaars wordt mogelijk

Feit nr. 6:

Veel voorgeschreven middelen blijken kankerverwekkend te zijn

Door de bijwerkingen van de giftige chemotherapie worden nog meer recepten uitgeschreven voor behandeling van deze ongewenste neveneffecten. Bijna de helft van de stoffen, die bij de Amerikaanse overheid als ‘carcinogeen’ – dus kankerverwekkend – geregistreerd zijn, worden door miljoenen mensen op doktersvoorschrift geslikt.

De reden hiervoor is dat de farmaceutische preparaten geen natuurlijke stoffen zijn maar synthetische. Het lichaam herkent deze niet als biologisch en is vaak ook niet in staat om deze probleemloos te verwerken en uit te scheiden. De meeste van deze medicijnen veroorzaken schade aan het DNA van cellen.

De reden dat de meeste op recept verkrijgbare preparaten niet van natuurlijke maar van van synthetische aard zijn, is omdat men deze kan patenteren. De winst van de farmaceutische industrie is gebaseerd op de productie van gepatenteerde synthetische preparaten met enorme licentierechten.

Het moge duidelijk zijn dat het voortbestaan van de kankerepidemie heel nauw samenhangt met het zakelijke model van de farmaceutische industrie.

Dat veel farmaceautische middelen mogelijk kankerverwekkend zijn, is een bekend feit, zoals de lijst op de blz. hiernaast aantoont.

36

Veel voorgeschreven medicijnen zijn kankerbevorderend

Uit off iciël e rapporten van de Ame rika anse overheid:

Meer dan 40% van de chemische stoffen die kanker kunnen veroorzaken worden op recept voorgeschreven

Medicamenten worden in klassen verdeeld en zijn in verschillende mate kankerverwekkend:

• 87% van de stoffen die voor chemotherapie worden gebruikt zijn kankerverwekkend

• 50% van alle antibiotica kunnen kan kerverwekkend zijn.

• 60% van de medicijnen tegen depressie en p sychische stoornissen zijn potentieel kankerverwekkend

• Bijna alle immunosuppressiva zijn kankerbevorderend

• Vele andere synthetische preparaten zijn geregistreerd als kankerverwekkend, waaronder maagzuurremmers, anti allergica

Bron:

• N ational I nsti tute of Healt h 9th R eport on Carcinogens, 2001

• N ational I nsti tute of Healt h 12th Report on Carcinogens, 2011

• U S Department of Heal th and H uman Servi ces 7t h Annual R eport on Carcinogens, 1995

1
kan 37
Hoofdstuk
- Feiten waar niemand omheen

De overwinning op kanker! Deel 1: Iets onvoorstelbaars wordt mogelijk

Feit nr. 7:

De ‘therapie’ van het willekeurig doden van zowel gezonde- als kankercellen, wordt vervangen door de moderne benadering van ‘celregulering’

De 20ste Eeuw zal de geschiedenis ingaan als het doodlopend spoor in de ‘strijd tegen kanker’. Ondanks ontelbare mediaberichten over veronderstelde doorbraken op het gebied van de ‘genezing’ van kanker, breidt deze ziekte zich wereldwijd nog steeds uit.

De huidige behandeling volgens de opvattingen van de conventionele geneeskunde –chemotherapie en bestraling–is gebaseerd op het willekeurig en in dezelfde mate, doden van zowel zieke als gezonde cellen.

Uit de statistische gegevens blijkt dat deze therapie, ook na decennia helemaal geen doorslaggevend resultaat oplevert. Voor talrijke soorten kanker werkt zowel chemotherapie als bestraling, niet levensverlengend. Voor andere vormen van kanker werden minimale kortdurende effecten bereikt ten koste van lijden en verlies van de kwaliteit van leven van de patiënt.

Er bestaat een behoefte aan een volledig nieuwe wending in de behandeling van kanker. Een nieuwe benadering gebaseerd op een nieuw begrip over het natuurlijk reguleren en beheersen van kankercellen. De sleutel voor een effectieve controle over kankercellen ligt in bepaalde micronutriënten die zorgt voor correctie van de verstoorde biologische software van kankercellen zonder daarbij de stofwisseling van gezonde cellen te beïnvloeden. Op deze manier zal kanker spoedig zijn afschrikwekkende imago verliezen.

38

Biologische regulering in plaats van chemische of radioactieve vernietiging

Giftige chemicaliën

Natuurlijke regulering door

remming van tumorgroei

remming van metastasen

inkapseling van tumoren

gerichte kanker celdood

De sl eut el t ot de overwinning op kanker: regulering i n pl aats van vergi fti ging

Hoofdstuk 1 - Feiten waar niemand omheen kan 39
“chemotherapie” Radioactieve straling “Bestraling”

“Hoe lang heb ik nog, dokter

Aan het begin van de 21ste eeuw speelt zich hetzelfde bizarre ritueel af in dokterspraktijken en in ziekenhuizen overal ter wereld: Patiënten krijgen de diagnose ‘kanker’ te horen. Hun in elkaar gewrongen handen, geven uitdrukking aan de gevoelens van hulpeloosheid en wanhoop. Tegelijkertijd vindt een ander beangstigend ritueel plaats.

De overwinning op kanker! Deel 1: Iets onvoorstelbaars wordt mogelijk 40

De hand van een dokter klopt op het been van een patiënt in een mengeling van troost, bemoediging en belofte om te helpen. Deze misleidende belofte die door de hand van de dokter wordt gedaan is nergens op gebaseerd. De diagnose kanker is tot nu toe nog steeds dat gebleven wat het een eeuw geleden ook al was: een doodvonnis. Het wordt hoog tijd voor verandering!

1 - Feiten
niemand
kan 41
Hoofdstuk
waar
omheen
?”

De overwinning op kanker! Deel 1: Iets onvoorstelbaars wordt mogelijk

42

In de volgende hoofdstukken van dit b oek nemen wij u meer op een opmerkelijke gezondh eidsreis.

Het doel van deze reis is dat U zich zult realiseren d at de b iologische middelen voor ‘de overwinn ing van kanker’ nu al voorhanden zijn!

Hoofdstuk 1 - Feiten waar niemand omheen kan 43

Paarse Kust „Wetenschap als Kunst“ is een idee van August Kowalczyk. „Paarse Kust“ is een microscopische afbeelding van nierweefsel waarbij het collageen paars gekleurd is.

De foto werd gemaakt in het Dr. Rath Research Institute.

Bekijk de gehele galer ij op www.dr rath humanities foundation.org/exhibition/index.html

De medicinale doorbraak naar een natuurlijke beheersing van kanker
II.

De overwinning op kanker! Deel 1: Iets onvoorstelbaars wordt mogelijk

Inleiding door Dr. Rath

De ontdekkingen die in dit hoofdstuk worden genoemd, werden al meer dan 20 jaar geleden gedaan. Op volgende bladzijde ziet u een pagina van mijn manuscript over “Plasmin-Induced Proteolysis” dat in het begin van 1992 werd gepubliceerd. Voor de eerste keer werd toen beschreven hoe het belangrijkste mechanisme voor de verspreiding van kanker, de collageenvertering, geremd kan worden met natuurlijke stoffen. De conclusie van deze publicatie werd ondersteund door Nobel prijswinnaar Linus Pauling. Het toepassen van deze ontdekking in de geneeskundige praktijk kan leiden tot het overwinnen van kanker met natuurlijke therapieën.

Direct na de publicatie werd op vele wetenschappelijke symposia veel aandacht besteed aan het onderwerp ‘collageenvertering’. Daarnaast begonnen farmaceutische fabrikanten te wedijveren om patenteerbare synthetische middelen hiertegen te ontwikkelen. Tien jaar later, op 12 Mei 2002 publiceerde de San Francisco Chronicle onder de kop ‘Misdiagnose’ een reportage over deze schokkende concurrentiestrijd. Zonder ook maar iets over het originele onderzoek te vermelden, werd de concurrentiestrijd van de farmaceutische fabrikanten beschreven die als doel had, zoals de krant het noemde, het vinden van ‘De heilige graal van de geneeskunde’ – de oplossing voor de kankerepidemie.

De concurrentiestrijd leverde niet het gewenste resultaat op, zo werd althans vermeld. Voor de farmaceutische fabrikanten was het makkelijk om deze concurrentiestrijd op te geven aangezien men uiteindelijk honderden miljarden dollars verlies zou leiden. Al tientallen jaren is de kankerepidemie een van de meest winstgevende markten voor de farmaceutische industrie. Het einde van de kankerepidemie zou een ramp voor hen zijn. Het opgeven van de speurtocht naar ‘De heilige graal van de geneeskunde’ was dus een makkelijke beslissing ten gunste van de farmaceutische 'investering in de handel met ziekten’. Maar wetenschappelijke onthulling was wereldkundig gemaakt. Vervolgens besloten de lobbyisten van de farmaceutische industrie om zich de volgende 10 jaren te richten op de strijd tegen de pioniers die deze doorbraak bekend hadden gemaakt. Maar hun inspanningen liepen op niets uit. Over dit onderwerp wordt meer verteld in deel 2 van dit boek. Dit boek biedt ‘De heilige graal van de geneeskunde’ aan het gehele mensdom aan.

46
2 - De medische doorbraak naar natuurlijke beheersing
kanker 47 Plasmine geïnduceerde Proteolyse en de R ol van Apoprotei ne (a), Lysi ne en Synt het ische Lysine Anal ogen Matthias Rath en Linus Pauling Uit het tijdschrift Orthomo lecu lar Med icine, 19 92, 7, 1 7 22
tekst vindt
Hoofdstuk
van
De volledige
u in de Bijlage.

De overwinning op kanker! Deel 1: Iets onvoorstelbaars wordt mogelijk

Wat U in dit hoofdstuk zult leren

•Kanker is niet langer een mysterieuze ziekte. De voornaamste processen voor de ontwikkeling en beheersing van deze ziekte kunnen door iedereen begrepen worden, ook als men niet medisch onderlegd is.

•Kanker kent vele oorzaken, maar er is één algemeen proces waardoor alle soorten kankercellen zich verspreiden: de vertering van het bindweefsel rond de kankercel.

•Het doorbreken van de barrière van het omringende bindweefsel (collageen) is de belangrijkste voorwaarde voor kankercellen om te kunnen groeien, zich te verspreiden (metastasering) en zich te ontwikkelen tot een levensbedreigende ziekte.

•Het mechanisme waarmee kankercellen deze barrière doorbreken is de aanmaak van ongecontroleerde hoeveelheden enzymen of biokatalysatoren. Deze kleine proteïnen werken als een soort ‘’biologische scharen’, die de weg vrij maken voor de kankercellen om zich door het lichaam te verspreiden.

•Alle kankercellen, ongeacht uit welk orgaan zij voortkomen, gebruiken dezelfde collageenverterende enzymen.

•Hoe meer van deze 'biologische scharen’ een kankercel produceert, hoe agressiever en hoe kwaadaardiger hij is, hoe sneller hij zich verspreidt en hoe korter in het algemeen de levensverwachting van de patiënt zal zijn.

•Deze ‘biologische scharen’ zijn niet alleen betrokken bij kanker. Ook onder normale (fysiologische) omstandigheden gebruiken de cellen deze enzymen om zich door het lichaam te verplaatsen. Bijvoorbeeld de witte bloedcellen (leukocyten), die op bedreigde plaatsen ons lichaam tegen infecties beschermen. Ook eicellen gebruiken diezelfde methode tijdens de ovulatie.

48

Hoofdstuk 2 - De medische doorbraak naar natuurlijke beheersing van kanker

•Kankercellen misbruiken natuurlijke, normaal verlopende processen in het lichaam. In tegenstelling tot de normale omstandigheden, waarbij het aanmaken van collageenverterende enzymen scherp worden gecontroleerd, produceren kankercellen deze biologische scharen ongecontroleerd en onophoudelijk.

•Kankercellen maken gebruik van een normaal, biologisch proces waardoor zij het afweersysteem van ons lichaam misleiden. Dit is de reden waarom kanker zo’n agressieve ziekte is.

•Het is belangrijker om te weten dat bepaalde microvoedingsstoffen deze biologische schaarenzymen kunnen blokkeren. Deze natuurlijke voedingsstoffen zijn in staat om de ongecontroleerde bindweefselvertering en de verspreiding van kankercellen, te vertragen en te stoppen.

De informatie in dit boek is fundamenteel en eenvoudig te begrijpen. Weldra zal dit een onderdeel worden van natuurkundelessen op scholen over de hele wereld.

49

De overwinning op kanker! Deel 1: Iets onvoorstelbaars wordt mogelijk

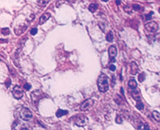
Een kankercel op het eerste gezicht bekeken.

Normaal gesproken zijn onze cellen ingebed in een netwerk van collageen en andere bindweefselmoleculen die ervoor zorgen dat deze op hun plaats worden gehouden. Om tot een tumor uit te groeien en zich door het lichaam te verspreiden, moeten kankercellen deze barrière van bindweefsel doorbreken. Om dat te kunnen doen maakt elke kankercel ‘biologische scharen’ aan –enzymen (ofwel biokatalysatoren) – die in staat zijn om het bindweefsel rond de kankercellen te verteren.

Kankercellen maken deze vernietigende enzymen niet slechts voor een korte periode aan, maar zo lang als zij leven. Aangezien kankercellen de eigenschap hebben dat zij onsterfelijk zijn, kan men kanker beschrijven als een ziekte die het lichaam geleidelijk van binnen uit verteert.

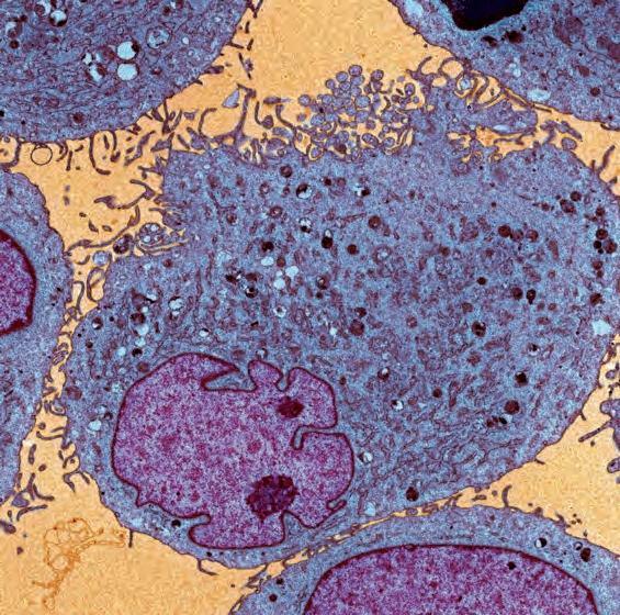
Op de volgende bladzijde staat een afbeelding van 6500 keer vergrote kankercel, gezien door elektronenmicroscoop. Dit type cel wordt een carcinoomcel genoemd, omdat deze is ontstaan uit epitheelcellen; de huidcellen die zowel het oppervlak van de binnen- als van de buitenzijde van onze organen (longen, bloedvaten, ingewanden) en ons lichaam (de huid zelf) bekleden.

Deze vergroting stelt ons in staat om duidelijk de karakteristieke eigenschappen van alle kankercellen te identificeren; a) de zeer grote, abnormaal gevormde celkern (nucleus), die de hoge vermenigvuldigingssnelheid van kankercellen weergeeft en b) de onregelmatige structuur van de celwand en de grote activiteit eromheen van stoffen die door de kankercel worden afgescheiden.

Eén van de belangrijkste moleculen die in grote hoeveelheden door de kankercellen worden uitscheiden, zijn de collageenverterende enzymen. Deze zijn in deze afbeelding voor de duidelijkheid afgebeeld als rode “pacmannetjes”.

50

Biologische ‘schaarenzymen’ worden door alle kankercellen aangemaakt

51
Hoofdstuk 2 - De medische doorbraak naar natuurlijke beheersing van kanker

De overwinning op kanker! Deel 1: Iets onvoorstelbaars wordt mogelijk

Collageenverterende enzymen werken als een soort biologische 'scharen'.

Deze biologische kettingreactie heeft als taak het verteren van het bindweefsel in het lichaam.

Plasminogeen activator (Urokinase)

Biologische kettingreactie

Deze ‘pacmannetjes’ zijn in werkelijkheid biologische moleculen die de unieke eigenschap hebben om collageen-vezels en andere bindweefselmoleculen te verteren. De afbeelding hierboven toont dat er niet slechts één soort ‘pacman’ bestaat; er zijn er meer,

52

zoals Plasminogeen/Plasmine en Metalloproteinasen (gekleurde structuren). Om hun vernietigende effect te versterken kunnen zij elkaar activeren tot een soort biologische ‘kettingreactie’.

53
Hoofdstuk 2 - De medische doorbraak naar natuurlijke beheersing van kanker
Bindweefselverteringvoor bindweefselvertering
Plasminogen Metalloproteinasen (MMPs)

De overwinning op kanker! Deel 1: Iets onvoorstelbaars wordt mogelijk

Hoe cellen zich in het lichaam verplaatsen

Om te begrijpen hoe ziekten zich verspreiden, moeten wij kijken naar de manier waarop gezonde cellen zich door het lichaam verplaatsen. Voor rode bloedlichaampjes is dit heel eenvoudig: zij worden meegevoerd met de bloedstroom. Het is echter moeilijker om zich een voorstelling te maken hoe de cellen van andere organen zich door ons lichaam kunnen verplaatsen en hoe deze, ondanks de versperring van het bindweefsel, toch verder komen.

Om door het bindweefsel heen te dringen moet een cel tijdelijk het omringende collageen- en elastische weefsel kunnen oplossen. Om zich door deze dichte weefsels te kunnen verplaatsen is het nodig dat de cellen de eerder genoemde ‘schaarenzymen’ afscheiden om het omringende collageen te kunnen oplossen. Deze eiwitmoleculen die in staat zijn om het bindweefsel op te lossen noemt men dan ook collageenverterende enzymen.

De collageenverterende enzymen worden in dit boek weergegeven als rode cirkels of ‘pacmannetjes’.

Op de bladzijde hiernaast zien we de aanmaak van collageenverterende enzymen in een cel (Afbeelding A). Deze enzymen worden rondom de cel uitgescheiden om de omringende collageenvezels ‘aan te vallen’ en te verteren.

Dit proces maakt het mogelijk om ‘vluchtgaten’ voor de cellen te maken in het dichte netwerk van bindweefsel, waar zij gemakkelijk doorheen kunnen glippen (Afbeelding B).

Op de volgende bladzijden laten we een paar voorbeelden zien van de werking van dit biologische proces onder normale omstandigheden.

54

De celkern begint met de aanmaak van collageenverterende enzymen

AAanmaak van deze enzy men in de cel en afscheid ing ervan

Enzymen vallen het collageen en ander bindweefsel aan

B

De enzymen verteren tijdelijk het bindweefsel rondom de cel om zich door het lichaam te verplaatsen

55
Hoofdstuk
2 - De medische doorbraak naar natuurlijke beheersing van kanker
Cellen zwerven door de weefsels en organen van ons lichaam.

De overwinning op kanker! Deel 1: Iets onvoorstelbaars wordt mogelijk

Collageenvertering tijdens de ovulatie

Het ovulatieproces bij vrouwen is een van de meest fascinerende functies waarbij gebruik wordt gemaakt van collageenvertering. De hormonale veranderingen in de menstruatiecyclus stimuleren de aanmaakt van bepaalde celtypen (granulocyten), rondom de rijpende eicel (follikel) in de eierstok.

Onder invloed van hormonen (b.v. oestrogeen) beginnen deze cellen grote hoeveelheden vloeistof te produceren dat rijk is aan collageenverterende enzymen. In het midden van menstruatiecyclus worden er rondom de rijpe eicel zo veel collageenverterende enzymen afgescheiden, dat het collageenweefsel van de wand van de eierstok week wordt en er een gat ontstaat. Deze opening is juist groot genoeg om de eicel uit de eierstok door te laten om via een smal buisje, de eileider, in de baarmoeder (uterus) te komen.

Het zal duidelijk zijn, dat dit proces uiterst precies gereguleerd moet zijn en uitsluitend beperkt tot deze plek. In dit proces mag in principe maar één eicel per menstruatiecyclus worden doorgelaten op de weg naar de baarmoeder. Het is daarom absoluut noodzakelijk dat een natuurlijk evenwicht wordt behouden tussen de collageenvertering, die kortdurend mag werken en het herstelproces dat deze enzymen blokkeert -het zelf-herstellend vermogen van het weefsel.

Direct nadat de eicel de eierstok verlaten heeft, worden de activiteit van de collageenverterende enzymen door de lichaamseigen enzymremmers gestopt. Daardoor verschuift het evenwicht in de richting van het collageenopbouwend proces. Door middel van dit proces kan het weefsel van de eierstokwand zich snel herstellen en sluiten. Dit proces speelt zich steeds opnieuw af tijdens elke menstruatiecyclus.

56

Het ovulatieproces

Baarmoeder (uterus) Eileider

Eierstok

Zicht op de eierstokwand

Binnenkant van de eierstok:

Ovulatie: De eicel gaat op reis naar de de baarmoeder

De productie van collageenverterende enzymen, geactiveerd door hormonen ‘opent’ het weefsel van de eierstok gedurende enkele seconden - juist genoeg om het rijpe eitje uit de eierstok te laten en de reis naar de baarmoeder te beginnen.

57
Hoofdstuk 2 - De medische doorbraak naar natuurlijke beheersing van kanker

De overwinning op kanker! Deel 1: Iets onvoorstelbaars wordt mogelijk

Een nauwkeurigere blik op dit proces

Wij zijn ons ervan bewust, dat de omvangrijke gezondheidsinformatie in dit boek uitdagend is. Om te kunnen begrijpen hoe ziekten ontstaan en hoe wij deze kunnen voorkomen, is het een absolute noodzaak te ‘denken’ op celniveau.

Voor artsen en therapeuten zal dat gemakkelijk zijn, omdat zij al bekend zijn met de processen, die via de microscoop kunnen worden waargenomen. Voor leken zal dit misschien niet altijd even eenvoudig zijn.

Wij vinden het belangrijk dat deze informatie toegankelijk is voor iedereen. Daarom proberen wij in dit boek, op een gemakkelijk te begrijpen manier, een inzicht te geven in de processen die plaatsvinden op celniveau.

Onze reis begint op de volgende bladzijde met microscoop beelden van het fascinerende verloop van de ovulatie (eisprong).

Afbeelding A toont het moment, waarop een rijpe eicel (midden) de eierstok verlaat door een biologisch gemaakt gaatje in de wand van dit orgaan. De collageenverterende enzymen (rode pacmannetjes) zijn bedoeld om dit biologische proces te illustreren.

Afbeelding B laat een eicel zien (midden) onder een sterk vergrotende microscoop. De kleine bobbeltjes rondom de cel zijn de cellen (granulocyten) die gespecialiseerd zijn in het aanmaken van grote hoeveelheden collageenverterende enzymen, die nodig zijn voor een succesvolle ovulatie.

58
2
medische doorbraak
59
Baarmoeder A B Collageenvertering gedurende de ovulatie Follikel Granulocyten
Hoofdstuk
- De
naar natuurlijke beheersing van kanker
Eierstok

De overwinning op kanker! Deel 1: Iets onvoorstelbaars wordt mogelijk

Collageenvertering tijdens een infectie

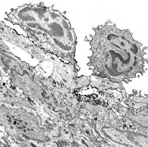
De collageenvertering speelt ook een belangrijke rol bij infecties. De witte bloedcellen zorgen voor de basisbescherming van ons lichaam tegen ziekteverwekkers. Bepaalde ondersoorten van de witte bloedcellen hebben een specifieke functie in het immuunsysteem als zogenaamde ‘politiecellen’.

Heel belangrijk zijn de macrofagen, witte bloedcellen die ‘indringers' kunnen opeten en verteren. Andere cellen, de monocyten, kunnen elk deel van het lichaam bereiken via de bloedstroom. Wanneer er een infectie plaatsvindt in de longen, geeft het lichaam ‘alarmstoffen’ af, die monocyten aantrekken naar de plaats van infectie.

Bij een longinfectie bijvoorbeeld, reizen de witte bloedcellen via de haarvaten van de longen naar het longweefsel met behulp van de collageenverterende enzymen. Om de infectiehaard (b.v. bacteriën of virussen) te bereiken, moeten de witte bloedcellen (cellen) zich door het longweefsel verplaatsen. Zij maken daarvoor gebruik van hetzelfde collageenverterende proces en verplaatsen zich door het bindweefsel zoals een expeditie die zich met grote kapmessen een weg door het oerwoud baant.

Zodra de witte bloedcellen door het bindweefsel heen zijn gegaan, sluit dit zich onmiddellijk weer. Daartoe wordt er een proces in gang gezet dat de werking van de enzymen neutraliseert ten behoeve van het weefsel herstel.

Deze ‘reparatie’ wordt gewaarborgd door een optimale beschikbaarheid van ‘pacman’ neutraliserende factoren en door de productie van nieuwe collageenmoleculen.

60

Hoe witte bloedcellen zich in het lichaam verplaatsen

Witte bloedcellen (‘politiecellen’) verlaten een klein longbloedvaten gaan naar de infectiehaard met behulp van collageenverterende enzymen.

Bacteriën

De collageenvertering stopt nadat de witte bloedcel is gepasseerd en het weefsel wordt gerepareerd.

Het collageenverteringsproces wordt in normale omstandigheden door witte bloedcellen benut om tijdelijk en volgens een precies geregeld en gecontroleerd proces.

61
Hoofdstuk 2 - De medische doorbraak naar natuurlijke beheersing van kanker Voorbeeld: longinfectie

b) De witte bloedcel dringt door de wand van het bloedvat heen met behulp van collageenverterende enzymen

Aa) Een witte bloedcel in het bloed (witte kleur) hecht zich aan de wandcel (endotheelcel) van het bloedvat.

62
Hier ziet u een microscoopopname van de weg die een witte bloedcel aflegt
De overwinning op kanker! Deel 1: Iets onvoorstelbaars wordt mogelijk

d) De witte bloedcel gaat nu op reis door het bindweefsel en is volledig daardoor omgeven.

Copyright Dr. A. Loesch afgedrukt met toestemming

Cc) De witte bloedcel heeft het bloedvat verlaten en de vaatwand heeft zich daarna weer gesloten.

D63
Hoofdstuk 2 - De medische doorbraak naar natuurlijke beheersing van kanker

De overwinning op kanker! Deel 1: Iets onvoorstelbaars wordt mogelijk

Collageenvertering bij de 'ombouw' van weefsel

Collageenverterende enzymen spelen een rol in het proces van de weefselombouw ten behoeve van allerlei normale functies. Een voorbeeld daarvan is de groei van de melkklieren tijdens de zwangerschap.

Gedurende de zwangerschap geven hormonen signalen af die borstcellen stimuleren tot de productie van collageenverterende enzymen. Zij breken het borstweefsel af om ruimte te maken voor de groei van de melkklieren.

Op de volgende bladzijde ziet u een microscoopbeeld van de structurele ingreep in het borstweefsel ten behoeve van de ombouw van het normale ruststadium naar de lactatiefase.

In afbeelding A ziet u de kenmerkende dichte structuur van het weefsel van een niet lacterende borst, rondom een strak gesloten melkkanaal.

In afbeelding B zien we de celstructuur van een melkproducerende borst, gekenmerkt door losser bindweefsel, de aanwezigheid van kliercellen die de melk produceren (kleine witte kringen) en het openstaande melkkanaal (in het midden).

Stelt u zich eens voor hoeveel collageenverterende enzymen nodig zijn voor het op gang brengen van dit proces en het fascinerende plan voor de ombouw van het borstweefsel.

Andere processen die gebruik maken van bindweefselvertering ten behoeve van het ombouwen van weefsel voor een andere functie zijn de wondgenezing, de groei van ons lichaam en van onze organen.

64

Co llageenvertering in de borst

A. Melkkanaal (gesloten) in normaal borstweefsel

B. Melkkanaal (open) tijdens lactatieperiode

A Microscoopopname van een gesloten melkkanaal bij een vrouw die geen borstvoeding geeft

B. Voor de melkproductie wordt borstweefsel geherstructureerd. Het open melkkanaal maakt de doorstroom van melk mogelijk.

65
Hoofdstuk
2 - De medische doorbraak naar natuurlijke beheersing van kanker
De overwinning op kanker! Deel 1: Iets onvoorstelbaars wordt mogelijk 66

Geheimen van kanker ontrafeld

67
Hoofdstuk 2 - De medische doorbraak naar natuurlijke beheersing van kanker

De overwinning op kanker!

Onbeantwoorde

Deel 1: Iets onvoorstelbaars wordt mogelijk

vraag nr. 1:

Waarom is kanker zo'n agressieve ziekte?

Ondanks het feit dat enkele specifieke processen die een rol spelen bij de ontwikkeling van kanker zijn verklaard, is het een raadsel gebleven waarom kanker ontstaat. Zolang de meest fundamentele vragen met betrekking tot kanker niet beantwoord zijn, kan er ook geen effectieve genezing plaatsvinden.

Dit boek geeft een antwoord op deze vragen:

1. Waarom is kanker zo’n bijzonder agressieve ziekte?

2. Waarom worden bepaalde organen vaker door kanker getroffen dan andere?

Op de volgende bladzijde vinden we het antwoord op de eerste vraag.

Wanneer een normaal proces, dat nodig is voor het gezond functioneren van ons lichaam, door datzelfde lichaam ook bij een ziekteproces wordt ingezet, dan wordt eenvoudigweg geen werkzaam afweermechanisme daartegen ontwikkeld.

Omdat de witte bloedcellen, eicellen en tal van andere cellen om normaal en gezond te functioneren, het mechanisme van de collageenvertering door enzymen gebruiken (A), kan kanker zich ongecontroleerd en ongehinderd door het afweersysteem, uitbreiden. In wezen is het een eenvoudige truc: de kankercellen maken gebruik van hetzelfde mechanisme – maar op een ongecontroleerde manier.

Voor het eerst kunnen wij nu antwoord geven op de vraag waarom kanker zo agressief is.

De nieuwe inzichten in dit boek laten zien wat dat speciale uitbreidingsmechanisme betekent en scheppen daarmee een basisvoorwaarde voor een effectieve en natuurlijke beheersing van kanker.

68
Hoofdstuk 2 - De medische doorbraak naar natuurlijke beheersing van kanker 69 Ziekt e, b.v. kanker (p atholo gische vo orwaar den) Gezon dheid (fysi ologische voor waard en) Witte bloedcellen (Leukocyten) Eicellen (eierstokcel) Bindweefselvertering is exact bepaald qua tijdstip en plek. Ongecontroleerde bindweefselvertering Kankercellen maken misbruik van natuurlijke lichaamsprocessen A B

De overwinning op kanker!

Deel 1: Iets onvoorstelbaars wordt mogelijk

Onbeantwoorde vraag nr. 2: Waarom komen bepaalde vormen van kanker vaker voor dan andere?

De tweede vraag die onderzoekers en specialisten op het gebied van kanker (oncologen) tot nu toe niet kunnen beantwoorden is: Waarom komen diverse vormen van kanker vaker voor dan andere?

Ons onderzoek geeft een antwoord op die cruciale vraag. Kanker ontwikkelt zich bijzonder vaak in de organen, waarin de collageenvertering onder normale omstandigheden vaker plaatsvindt, zoals de voortplantingsorganen. Vooral in de vrouwelijke voortplantingsorganen vinden heel het leven lang herhaaldelijke functionele en structurele veranderingen plaats.

Aan het begin van dit hoofdstuk hebben wij toelichting gegeven over de veranderingen in het lichaam van de vrouw tijdens de eisprong en ten behoeve van de lactatie. Ook de baarmoeder (uterus) en de baarmoederhals (cervix) hebben te maken met een herstructurering van het weefsel als gevolg van de menstruatiecyclus en zwangerschap en worden onderworpen aan een sterke werking van collageen verterende enzymen. Vanuit dit oogpunt bekeken is het niet verwonderlijk dat deze organen vaker vatbaar zijn voor ongecontroleerde bindweefselvertering waardoor het risico op kanker kan ontstaan.

Om dezelfde reden worden ook de mannelijke voortplantingsorganen, de prostaat en teelbal waar het sperma wordt aangemaakt vaker door kanker getroffen.

Een belangrijk aspect hierbij is het feit dat zowel de mannelijke als de vrouwelijke voortplantingshormonen de aanmaak van collageenverterende enzymen in de voortplantingsorganen stimuleren. Een verhoogde concentratie van deze hormonen, hetzij door verhoogde aanmaak in het lichaam, hetzij door hormoonpreparaten (anticonceptiemiddelen of hormoon vervangingstherapie), verhogen het risico op kanker van de voortplantingsorganen.

70

K anker in voortplan tingsorgan en Collageenverterende enzymen hebben een normale functie bij:

Borst lactat ie Eierstokken ovulati e Baarmoeder zwangerschap Baarmoederhal s bevruchti ng Teelbal zaadproduct ie Prostaat zaadvl oei st of

71
Hoofdstuk 2 - De medische doorbraak naar natuurlijke beheersing van kanker

De overwinning op kanker! Deel 1: Iets onvoorstelbaars wordt mogelijk

Waarom bepaalde vormen van kanker vaker voorkomen dan andere: Botkanker

Een orgaan dat ook vaak door kanker getroffen wordt, zijn onze botten. Opmerkelijk is dat botkanker vaker bij kinderen en jeugdigen voorkomt.

Daar is nu een verklaring voor. De botten zijn organen die vanaf de geboorte tot aan de volwassenheid ingrij-pende structuurveranderingen ondergaan. De groei van botten vereist een hoge activiteit van collageenver-terende enzymen.

De lengtegroei van de botten is geen homogeen proces dat gelijkmatig is verdeeld over de lengte van het bot. Het groeiproces concentreert zich op bepaalde plekken aan het uiteinde van het bot, vlak bij de gewrichten.

Het is daarom niet verbazingwekkend dat juist op die plekken, epifyse genoemd, de meeste bottumoren beginnen.

72

Hoofdstuk 2 - De medische doorbraak naar natuurlijke beheersing van kanker

Botkanker

b ij kinderen

Gewricht

Plek van d e botgr oei (epifyse)

Röntgenopname van botkanker Let op de kankerontwikkeling in de epifyse, bij het gewricht

73

De overwinning op kanker! Deel 1: Iets onvoorstelbaars wordt mogelijk

Waarom bepaalde soorten kanker vaker voorkomen dan andere: Leukemie

In dit hoofdstuk hebben we beschreven hoe witte bloedcellen zich met behulp van collageen verterende enzymen door lichaamsweefsels kunnen verplaatsen.

Stelt u zich eens voor dat dit proces bij enkele witte bloedcellen ontspoort. Dan wordt het bindweefsel voortdurend en ongecontroleerd vernietigd.

Dat is nu precies wat er gebeurt bij leukemie wanneer witte bloedcellen door kanker aangetast worden.

De natuurlijke vaardigheid van witte bloedcellen om grote hoeveelheden collageenverterende enzymen te produceren, maakt dat deze leukocyten in hoge mate vatbaar zijn voor het ontwikkelen van kanker.

Nu begrijpt u waarom leukemie één van de meest voorkomende vormen van kanker is.

74

Bloed kanker (Leukemie)

Leukemiecellen onder een elektronenmicroscoop. De voortdurende aanmaak van collageenverterende enzymen wordt door rode happ ert jes (pacmannetjes) gevisualiseerd.

75
Hoofdstuk 2 - De medische doorbraak naar natuurlijke beheersing van kanker

overwinning op kanker! Deel 1: Iets onvoorstelbaars wordt mogelijk

Leukemie nader bekeken

Zodra kankercellen biologische “schaar-enzymen“ aanmaken, zijn er geen grenzen meer, dan kunnen ze de structuur van ieder orgaan binnendringen, dat geleidelijk oplossen of “verteren”.

Dit is ook van toepassing op leukemiecellen. Een van de kenmerken van bloedkanker is dat leukemiepatiënten niet in de eerste plaats aan een overproductie van leukocyten sterven, maar aan het feit dat die cellen de bloedsomloop blokkeren.

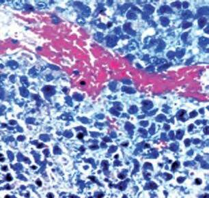
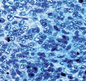
Leukemie patiënten sterven veel vaker aan het falen van een of meerdere organen, in het bijzonder de “filter” organen zoals de lever en milt. Miljoenen witte bloedcellen dringen vanuit het bloed de organen binnen. Deze bloedkankercellen produceren enorme hoeveelheden collageenverterende enzymen, die deze organen letterlijk van binnenuit verteren.

De afbeelding op de volgende bladzijde toont een dwarsdoorsnede van de lever van een patiënt met lymfatische leukemie. Elke paarse stip is een witte bloedcel (in dit geval een lymfocyt) die het weefsel van de lever is binnengedrongen (het roze-gekleurde gebied).

Als men kijkt naar het massale aantal paarse stippen en bedenkt hoeveel collageenverterende enzymen elke daarvan aanmaakt, dan kan men zich gemakkelijk de omvang van de weefselvernietiging en de orgaanschade voorstellen, die deze vorm van kanker veroorzaakt.

Leukemie is een goed voorbeeld om het ziekteproces te begrijpen dat op celniveau ontstaat door de aanmaak van bindweefselverterende enzymen door witte bloedcellen.

76
De

Leukemie onder de microscoop

Microscoopbeeld van lymfatische leukemie

Door kanker aangetaste witte bloedcellen (lymfocyten) dringen de lever binnen. Het grote aantal collageenverterende enzymen verwoest het orgaan en leidt uiteindelijk tot orgaanfalen.

77
Hoofdstuk 2 - De medische doorbraak naar natuurlijke beheersing van kanker

De overwinning op kanker! Deel 1: Iets onvoorstelbaars wordt mogelijk

Collageenvertering bij kanker

Het collageenverterende proces dat hiervoor werd uitgelegd, speelt een rol bij alle vormen van kanker – onafhankelijk van de oorsprong ervan. De afbeelding op de volgende bladzijde toont een voorbeeld daarvan: het ontstaan van leverkanker.

De lever behoort tot de belangrijkste stofwisselingsorganen van het lichaam en is onder meer verantwoordelijk voor het neutraliseren en uitscheiden van gifstoffen. Vergif zoals pesticiden en veel synthetische farma-preparaten, zijn de meest voorkomende veroorzakers van leverkanker. De levercellen die aan deze giftige substanties worden blootgesteld, kunnen daardoor langdurig beschadigd of zelfs vernietigd worden. De meest voorkomende vorm van beschadiging leidt tot een permanent foute “programmering” van het genetische materiaal van de cel, het DNA.

Zo'n kwaadaardige “omprogrammering” van de “cel-software” kenmerkt het begin van de ontwikkeling van kanker doordat zij een waterval aan biologische processen activeren, die uiteindelijk leiden tot het vormen van een levertumor. Enkele specifieke processen zijn daarbij bepalend voor het effenen van de weg naar de groei en de uitbreiding van kanker:

1. Ongecontroleerde celvermeerdering.

De “software” van een kankercel wordt zodanig veranderd dat het de cel onsterfelijk wordt, waardoor deze zich oneindig blijft delen en dus vermenigvuldigen.

2. Massaproductie van collageenverterende enzymen. De tweede voorwaarde voor het ontstaan van kanker is de aanmaak van enzymen die het omgevende bindweefsel vernietigen. Normaal gesproken zorgt het bindweefsel ervoor dat kankercellen gevangen worden gehouden zodat zij zich niet kunnen verspreiden.

Hoe meer collageenverterende enzymen een kankercel produceert, des te agressiever de kankersoort is, des te sneller de kanker zich in het lichaam uitbreidt, en des te korter de levensverwachting van de patiënt is, als dat proces niet wordt gestopt.

78

Hoe een tumor zich ontwikkelt

Levertumor

Levercel

• gezonde cellen (bruin)

• kankercellen (groen) De “software” wordt in kankercellen zodanig veranderd dat de cel onsterfelijk wordt.

Kankercellen • vermenigvuldigen zich en • produceren collageen-verterende enzymen ongehinderd en onophoudelijk

Hier maken enkele kankercellen van een levertumor gebruik van collageenverterende enzymen om zich een weg te banen en zich te verspreiden in het omringende bindweefsel.

De productie van collageenverterende enzymen is een voorwaarde voor de groei en de uitbreiding van elke vorm van kanker, ongeacht in welk orgaan de kanker is ontstaan.

79
Hoofdstuk 2 - De medische doorbraak naar natuurlijke beheersing van kanker

De overwinning op kanker! Deel 1: Iets onvoorstelbaars wordt mogelijk

Hoe kankercellen zich uitbreiden en andere organen aantasten

Het oplossen van collageen speelt ook een belangrijke rol bij de verplaatsing van kankercellen naar andere organen of plekken in het lichaam, waar ze nieuwe gezwellen, de uitzaaiingen, vormen. Die uitzaaiingen worden metastasen genoemd. De afbeelding op de volgende bladzijde laat zien hoe een levertumor metastasen in de longen uitzaait.

Elke tumor wordt door een net van kleine bloedvaatjes (capillairen) omgeven. Met behulp van collageenverterende enzymen kunnen kankercellen door de wand van die capillairen dringen en in de bloedsomloop terechtkomen. Zodra de kankercellen een bloedvat zijn binnengedrongen, worden ze door de bloedstroom meegevoerd, net zoals de rode en witte bloedcellen. Zo kunnen zij andere organen bereiken.

De longen worden vaak door metastasen aangetast omdat zich daar biljoenen minuscule (capillaire) bloedvaatjes bevinden die voor een optimale zuurstofopname zorgen. De omvang van deze longcapillairen is nog dunner dan die van een haar waardoor de kankercellen daar slechts langzaam door de bloedsomloop kunnen reizen. Daardoor kunnen zij zich dus gemakkelijk aan de wand van die bloedvaatjes hechten.

Omdat de kankercellen aanhoudend grote aantallen collageenverterende enzymen blijven aanmaken, kunnen ze precies op die plaats de bloedstroom weer verlaten en het longweefsel binnendringen. Daar vermeerderen zij zich om vervolgens een nieuw gezwel te vormen: een metastase.

Hoe meer collageenverterende enzymen een bepaalde kankercel kan aanmaken, des te gemakkelijker kan hij metastasen vormen.

80

Hoe kankercellen metasteren

Levertumor (primaire tumor)

Kankercellen bereiken de bloedstroom met behulp van collageenverterende enzymen

Leverbloedvat

Metastase (uitzaaiing)

Kankercellen kunnen via de bloedstroom andere organen bereiken.

Kankercellen verlaten de bloedstroom met behulp van collageenverterende enzymen om uitzaaiingen te vormen (hier in de longen).

Alle vormen van kanker (ongeacht in welk orgaan de primaire tumor zich bevindt) maakt gebruik van de collageen-enzymen om uit te zaaien naar andere organen in het lichaam.

81
Hoofdstuk 2 - De medische doorbraak naar natuurlijke beheersing van kanker

De overwinning op kanker! Deel 1: Iets onvoorstelbaars wordt mogelijk

Onze reis door het lichaam gaat verder...

De publicatie van dit boek maakt een einde aan de mythe rondom de uitzaaiingen (metastase): dit proces is nu voor iedereen begrijpelijk geworden.

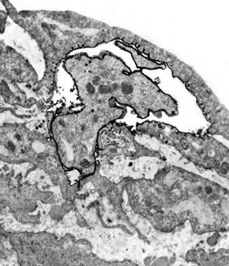
De afbeelding op de volgende bladzijde laat een kankercel zien onder een microscoop met een hoge resolutie.

Deze zwervende kankercel strekt zich uit in de richting die hij uit wil gaan in het lichaam. Zij maakt kleine “voetjes” om zich langs de oppervlakte van het weefsel te verplaatsen. Hier gebeurt dat in een bloedvat.

De rode bolletjes zijn collageenverterende enzymen die erbij zijn getekend om te laten zien hoe deze kankercel elke hindernis, kan overwinnen.

82
83
Hoofdstuk 2 - De medische doorbraak naar natuurlijke beheersing van kanker

De overwinning op kanker! Deel 1: Iets onvoorstelbaars wordt mogelijk

Verder met onze reis door het lichaam..

De uitzaaiing vanuit een kankergezwel gebeurt op een bepaalde manier: de kankercellen van een orgaan reizen door het lichaam en nestelen zich in een ander orgaan om zich vervolgens daarin te vermeerderen.

Het mechanisme van dit unieke proces is op de volgende bladzijde afgebeeld: Een kluwen van borstkankercellen heeft zich in een groot bloedvat van de lever, de portaalader, vastgezet.

Zodra deze cellen in een ander orgaan binnendringen, begint een „borstkankergezwel“ in een ander orgaan te groeien, in dit geval is dat in de lever.

84

Microscoopopname van borstkankercellen (bruine gebied in het midden) die in de lever (blauw gekleurd weefsel) uitgezaaid zijn. Hier zien we een kluwen van borstkankercellen in een leverbloedvat.

85
Hoofdstuk 2 - De medische doorbraak naar natuurlijke beheersing van kanker

De overwinning op kanker! Deel 1: Iets onvoorstelbaars wordt mogelijk

86

Hoofdstuk 2 - De medische doorbraak naar natuurlijke beheersing van kanker

Nu wij weten hoe het belangrijkste mechanisme in het verspreidingsproces van kankercellen werkt, moeten we een manier vinden om dit verwoestende proces op natuurlijke wijze te stoppen!

87

De overwinning op kanker! Deel 1: Iets onvoorstelbaars wordt mogelijk

Lysine, een natuurlijke enzymremmer

In de vorige hoofdstukken hebben we de beschreven rol van het collageenverteringsproces in relatie tot de verspreiding van ziekten in het lichaam. Een voorwaarde voor uitbreiding van agressieve ziekten zoals kanker is de ongecontroleerde activering van dit collageenverterende mechanisme.

Iedere vorm van therapie die de ongeremde vertering van bindweefsel kan vertragen of zelfs kan stoppen, vormt een beslissende stap vooruit in de geneeskunde. Zo’n belangrijke behandelmethode is van grote en doorslaggevende betekenis voor de bestrijding van kanker in al haar vormen en kan worden beschouwd als de “heilige graal van de geneeskunde”.

Opmerkelijk is dat de natuur ons twee groepen moleculen ter beschikking stelt om het proces van de collageen vertering te vertragen. Enerzijds zijn er de lichaamseigen enzymen, die de werking van collageenverterende enzymen ogenblikkelijk kunnen afremmen. Anderzijds bevat onze voeding of bepaalde voedingssupplementen, stoffen die eveneens de activiteit van deze enzymen kunnen remmen. De belangrijkste microvoedingsstof is het natuurlijke aminozuur L-lysine. Voldoende lysine in de voeding kan ervoor zorgen dat de collageen verterende enzymen zich niet in het bindweefsel kunnen verankeren. Lysine kan op deze manier de ongecontroleerde vertering van bindweefsel vertragen.

De afbeelding op de volgende bladzijde toont hoe lysine de collageenverterende enzymen afremt om de vernietiging van collageen tegen te gaan. Op deze manier kan de uitbreiding van kanker worden verhinderd.

88

Lysine, dat wij via uit onze voeding opnemen remt op natuurlijke manier de activiteit van collageenverterende enzymen.

Lysine verhindert dat de collageenverterende enzymen zich hechten aan de bindweefselmoleculen om deze te op te lossen. Zodra lysine de ‘mond’ van de collageenverterende enzymen bezet, kunnen zij als het ware niet meer in het collageen vastbijten om dit weefsel af te breken

Het essentiële aminozuur lysine kan de ongecontroleerde vertering van bindweefsel door kankercellen afremmen en daarmee ook het ontstaan van metastasen belemmeren.

89
Hoofdstuk 2 - De medische doorbraak naar natuurlijke beheersing van kanker
Lysine is de meest effectieve en natuurlijke manier om de collageenverterende enzymen te remmen

De overwinning op kanker! Deel 1: Iets onvoorstelbaars wordt mogelijk

Lysine: een verbazingwekkende stof

Ons lichaam gebruikt een biologische taal voor het aansturen van alle stofwisselingsprocessen. Het lichaamseiwit is opgebouwd uit ongeveer twee dozijn bekende aminozuren. Deze bouwstenen van het leven zijn net zoals de letters van het alfabet: Ons lichaam gebruikt verschillende combinaties van aminozuren om ontelbare biologische woorden (peptiden) en zinnen (eiwitten) op te bouwen. Elk afzonderlijk aminozuur vervult een specifieke taakt in de stofwisseling. Lysine is daar een goed voorbeeld van.

Onze cellen kunnen de meeste aminozuren zelf aanmaken. Dit zijn de zogenaamde niet-essentiële aminozuren. Er zijn ook negen aminozuren die ons lichaam niet zelf kan aanmaken. Wij moeten deze via onze voeding opnemen en daarom worden deze essentiële aminozuren genoemd.

Lysine is een van de belangrijkste essentiele aminozuren, net zoals vitamine C een van de belangrijkste vitamines is. De dagelijkse behoefte aan lysine is groot in vergelijking met alle andere aminozuren. Zo is lysine onder andere een basisbestanddeel van het aminozuur carnitine, dat een belangrijke rol speelt bij de energievoorziening van de cel.

Lysine levert een significante bijdrage aan de opbouw en instandhouding van de stabiliteit van ons lichaam. Het weefsel onze botten, huid, bloedvatwanden en alle andere organen Ongeveer 25 procent van het collageen is opgebouwd uit twee aminozuren: lysine en proline.

Ons lichaam kan grote hoeveelheden lysine opslaan en de opname van enkele grammen per dag veroorzaakt geen bijwerkingen want ons lichaam kent dit molecuul en scheidt het eventueel overbodige eenvoudig weer uit.

90

Het natuurlijke aminozuur lysine

Stikstof atoom

Waterstof atoom

1 nanometer = 1 miljoenste millimeter (10.000 maal kleiner dan een cel)

Hoeveel lysine kan ons lichaam verwerken?

• Een lichaam van 75 kg bevat ongeveer 11 kg eiwitten.

• 50 % daarvan bestaat uit de bindweefseleiwitten collageen en elastine.

• Collageen en elastine bevatten ongeveer 12 % lysine.

• Het lichaam van iemand van 75 kg bevat ongeveer 660 gram lysine.

Omdat ons lichaam aan zulke grote hoeveelheden lysine gewend is, kan men veilig meerdere malen per dag enkele grammen extra daarvan innemen door middel van een voedingssupplement b.v. bij een kankertherapie.

91
Hoofdstuk 2 - De medische doorbraak naar natuurlijke beheersing van kanker Zuurstof atoom

De overwinning op kanker!

Deel 1: Iets onvoorstelbaars wordt mogelijk

De rol van lysine in het evenwicht tussen de afbraak en de opbouw van bindweefsel

We weten nu dat de activiteit van de collageenverterende enzymen op twee manieren vertraagd kan worden: door middel van de lichaamseigen remmende eiwitmoleculen (proteïne enzymen) en opname van natuurlijke vertragingsstoffen zoals Lysine, via de voeding.

De lichaamseigen vertragingsstoffen vormen de eerste verdedigingslijn voor het behoud van het evenwicht tussen de afbraak en de opbouw van collageen en bindweefsel. In de illustratie op de volgende bladzijde zijn de lichaamseigen vertragende stoffen weergegeven als paarse wiggen.

Lysinemoleculen (in het groen weergegeven) dienen hetzelfde doel en vormen de tweede verdedigingslijn. Zij staan klaar om in te grijpen indien het lichaamseigen systeem tekort schiet. De vertragingsstoffen die met de voeding worden opgenomen kunnen hun doel niet voorbijschieten, ook niet wanneer zij in grote hoeveelheden worden ingenomen.

Een tweede belangrijk aspect dat in de illustratie wordt weergegeven, is het evenwicht tussen het collageenverterende (rood) en het collageenafremmende proces (paars en groen) bij gezondheid en in geval van ziekte. In normale (gezonde) omstandigheden is dit proces precies in evenwicht. Om een infectie te bestrijden, moeten de witte bloedcellen zich door het lichaam verplaatsen naar de infectiehaard. Daarbij veroorzaken zij een tijdelijke en plaatselijk begrensde onbalans in het voordeel van de collageenafbraak – net genoeg om de witte bloedcellen te laten passeren. Onmiddellijk na het passeren van de witte bloedcellen wordt het evenwicht door het lichaam weer hersteld.

Bij kanker is deze balans langdurig verstoord en overheerst de collageenafbraak. De lichaamseigen vertragende stoffen zijn dan onvoldoende in staat om de afbraak of vertering van het bindweefsel tegen te gaan. In deze situatie is het innemen van verhoogde doses lysine en andere in de voeding voorkomende stoffen die de afbraak van collageen remmen, de meest effectieve manier om het proces van bindweefselafbraak en -opbouw opnieuw in balans te brengen.

92

Langdurige verstoring van de balans door collageenverterende enzymen leidt tot ziekte

Collageen verterend enzym

blokkade (lichaamseigen) blokkade uit voedingsstoffen (lysine)

Gezondheid: balans of tijdelijke onbalans onmiddellijk herstel Ziekte: langdurige onbalans

Preventie en correctie: verhoogde toevoer van lysine en andere natuurlijke, remmende voedingstoffen

93
Hoofdstuk 2 - De medische doorbraak naar natuurlijke beheersing van kanker

De overwinning op kanker!

Deel 1: Iets onvoorstelbaars wordt mogelijk

Vitamine C en lysine: De voornaamste moleculen voor de gezondheid

De stabiliteit van ons bindweefsel – en daarmee de stabiliteit van ons lichaam – wordt hoofdzakelijk door twee factoren bepaald. Enerzijds door de optimale aanmaak van collageen en andere bindweefsel-stabiliserende moleculen en anderzijds door het voorkomen van een ongecontroleerde bindweefselafbraak.

Naast lysine is de regelmatige inname van vitamine C (ascorbinezuur), een essentiële microvoedingsstof, noodzakelijk voor het behoud van gezondheid. Deze twee microvoedingsstoffen die van belang zijn voor de stabiliteit van het bindweefsel en daarmee voor het bestrijden van kanker en andere ziekten, spelen de volgende rol:

1. Lysine remt de vernietiging van bindweefsel omdat het de vertering van bindweefsel door enzymen, verhindert. Tegelijkertijd is dit aminozuur een essentiële bouwsteen van het collageen in ons lichaam.

2. Vitamine C stimuleert de aanmaak van collageen en andere bindweefselmoleculen en is van doorslaggevende betekenis voor een optimale structuur van het bindweefsel. Een gebrek aan vitamine C verzwakt het bindweefsel van het lichaam. Dit is de reeds lang bekende oorzaak van scheurbuik, de ziekte die vroeger vaak voorkwam bij zeelieden. Een optimale toevoer van vitamine C waarborgt de aanmaak van collageen- en elastinevezels en draagt zo bij aan het behoud van een krachtig bindweefsel.

Daarbij kan een probleem ontstaan doordat ons lichaam zelf noch lysine noch vitamine C kan aanmaken en doordat de westerse voeding doorgaans een ontoereikende hoeveelheid van deze vitamine bevat. Het gevolg daarvan is dat bijna iedereen lijdt aan een min of meer langdurig tekort aan deze essentiële microvoedingsstof.

Door deze kennis zijn wij nu in staat om effectieve strategieën voor het bestrijden van kanker te formuleren. De optimale opbouw van bindweefsel bevordert inkapseling ofwel de biologische indamming van tumoren.

94

Inkapseling

van tumoren met behulp van natuurlijke middelen

Lysine molecule

Vitamine-C molecule

Lysine blokkeert collageen verterende enzymen en de ongecontroleerde verwoesting van bindweefsel

Vitamine C stimuleert de productie van nieuwe collageenmoleculen en versterkt het bindweefsel

95
Hoofdstuk 2 - De medische doorbraak naar natuurlijke beheersing van kanker

De overwinning op kanker! Deel 1: Iets onvoorstelbaars wordt mogelijk

Gezond collageen – de sleutel tot preventie en beheersing van kanker

De optimale opbouw van de collageen moleculen is van doorslaggevende betekenis voor het behoud van gezond bindweefsel en vormt de basis voor een effectieve bestrijding van kanker en andere ziekten. De afbeelding op de volgende bladzijde toont de belangrijke stappen van collageenproductie in een cel en beschrijft de essentiële rol van bepaalde microvoedingsstoffen bij dit proces.

Voor de optimale aanmaak van collageen zijn drie microvoedingsstoffen van bijzonder belang:

• Vitamine C bestuurt de aanmaak van collageen in de ‘software’ van de cellen. Bovendien hebben de nieuwe collageenstrengen, die net als in een touw om elkaar heen gedraaid zijn, deze vitamine nodig om een optimale stabiliteit te bereiken. Zij zorgen voor de bouw van een soort brug tussen de collageenstrengen om deze vereiste stevigheid en stabiliteit te geven.

• Lysine is een belangrijke bouwsteen van de aminozurenketen van de collageeneiwitmolecule. Omdat ons lichaam zelf geen lysine kan aanmaken moet deze belangrijke stof uit de voeding of uit voedingssupplementen worden opgenomen.

• Daarnaast vormt het aminozuur Proline een ander belangrijke onderdeel van het collageen. Ons lichaam kan deze stof slechts in beperkte hoeveelheden zelf aanmaken. In geval van een chronische ziekte die gepaard gaat met een langdurige afbraak van het collageen door enzymen, wordt de mogelijkheid van het lichaam om proline aan te maken, uitgeput. Een tekort aan proline, vermindert de stabiliteit van het bindweefsel en daarmee wordt het voortschrijden van de ziekte bevorderd.

96

De

aminozuren proline en lysine zijn bouwstenen van het collageen

Vitamine C

Regelt de aanmaak van collageen in de celkern

Proline

bestanddeel van collageen, vaak onvoldoende aanmaak in het lichaam

Lysine

bestanddeel van collageen wordt uitsluitend via de voeding verkregen.

Collageenmolecule

Vitamine C

Produceert OH (hydroxylgroep) voor het verbinden van de collageenstrengen, zo wordt het collageen gestabiliseerd.

97
Hoofdstuk 2 - De medische doorbraak naar natuurlijke beheersing van kanker

overwinning op kanker! Deel 1: Iets onvoorstelbaars wordt mogelijk

De inkapseling van de tumor: Het bewijs

Wij presenteren u nu het eerste wetenschappelijk bewijs door de doorslaggevende rol van vitamine C bij de inkapseling van tumoren uit te leggen. Het gaat hierbij om het opbouwproces van een indamming van de tumor door het bindweefsel.

Het is opmerkelijk dat de meeste dieren in tegenstelling tot de mens, zelf vitamine C kunnen aanmaken. Het is nog verrassender dat kanker bij dieren die in het wild leven zelden voorkomt. Ter vergelijking: één op de vier mensen sterft tegenwoordig aan deze ziekte.

Wij hebben ons met de spannende vraag beziggehouden of het mogelijk is dat slechts één enkele factor, de beschikbaarheid van optimale hoeveelheden vitamine C, beslissend kan zijn bij het verhinderen van de ontwikkeling van een tumor. Om een antwoord op deze vraag te vinden hebben wij een onderzoek model ontwikkeld waarbij de lichaamseigen aanmaak van vitamine C bij enkele muizen werd ‘uitgeschakeld’. Door een verandering van het erfelijke materiaal werd het “genetische defect” van de mens nagebootst.

Daarna werden de muizen die zelf geen vitamine C meer konden aanmaken in twee groepen verdeeld en werden zij met huidkankercellen (melanoomcellen) geïnfecteerd. Vervolgens kreeg de ene groep voeding met een optimale hoeveelheid vitamine C, terwijl de andere voeding zonder deze essentiële voedingsstof kreeg.

Op de volgende bladzijde ziet men de dramatische resultaten van de eerste test. De muizen die voeding zonder vitamine C kregen, ontwikkelden grote tumoren met een diffuse groei en met woekeringen in het aangrenzende weefsel (afbeelding A). Daarentegen ontwikkelden de muizen die wel voldoende vitamine C in de voeding hadden gekregen, niet alleen minder maar ook kleinere tumoren. Opmerkelijk is dat een optimale hoeveelheid vitamine C in de voeding leidde tot de vorming van een bindweefselkapsel om de tumoren heen (afbeelding B). Het onderzoek laat zien dat de aanwezigheid of het ontbreken van vitamine C een zeer beslissende factor is voor het inkapselingsproces van tumoren en daarmee het bestrijden van kanker.

98
De

AA. Dit kankergezwel heeft zich ontwikkeld bij een muis die geen eigen vitamine C kon aanmaken en die voeding zonder vitamine C kreeg.

Bijzonder opvallend is de diffuse, niet scherp begrensde rand van de tumor (rode pijl), met kankercellen die ongehinderd het omringende weefsel binnendringen.

BB.De muizen die extra vitamine C als aanvulling kregen vertoonden een scherp omlijnd kapsel van bindweefsel rond de tumor en daarmee werd de tumor ingesloten op de plek waar deze ontstond.

Van doorslaggevend belang voor het verhinderen van uitbreiding en metastering is dat een ontstane tumor op deze manier wordt ingekapseld.

99
Hoofdstuk
2 - De medische doorbraak naar natuurlijke beheersing van kanker
Het wetenschappelijk bewijs: De natuurlijke inkapseling van een tumor is mogelijk

Overwinning op borstkanker

Mijn naam is Barbara Saliger.

Op 48 jarige leeftijd kreeg ik de diagnose borstkanker. Een moment dat mijn leven heeft veranderd. Ik werd geopereerd en moest mijn linkerborst laten verwijderen. Door de aansluitende agressieve chemotherapie bestaande uit 14 cycli, viel mijn mooie haar uit. Voor mijn partner was ik niet meer de vrouw waar hij van hield. Hij kon mij in deze toestand accepteren. Ik liet hem gaan.

Niet alleen mijn 18 jarige dochter en mijn ouders zorgden voor mij, maar ook familieleden en vrienden hebben mij gebeld en moed ingesproken. Een jaar na de chemotherapie kreeg ik de diagnose osteoporose in het laatste stadium.

Dat was om wanhopig van te worden, maar ik gaf niet op.

Ik kon niet meer lopen en met mijn handen kon ik alleen nog maar bladzijden omslaan, waardoor ik tenminste nog kon lezen. De cortisonbehandeling die ik kreeg liet mijn lichaam eruitzien als een opgezwollen, ovale klomp deeg en ik moest een rolstoel gebruiken.

100
De overwinning op kanker! Deel 1: Iets onvoorstelbaars wordt mogelijk

Maak kennis met Barbara Saliger

Dit was de toestand waarin ik verkeerde toen ik informatie over de rol van microvoedingsstoffen in de strijd tegen kanker kreeg. Ik zei tegen mijzelf: “Je kunt niet dieper vallen. Vanaf nu er is nog maar één richting: omhoog”. Drie maanden nadat ik begon mijn voeding met microvoedingsstoffen aan te vullen, verminderde de pijn in mijn lichaam. Ik vertelde mijn dokter dat ik geen zin meer had om cortison in te nemen. Zij protesteerde. Tegen haar advies in besloot ik de cortisonbehandeling te stoppen. Vier weken later lieten mijn bloedonderzoeken goede resultaten zien. Mijn dokter verklaarde dat dit het gevolg van de cortison behandeling was. Ik glimlachte bij mijzelf maar zei niets.

Een half jaar nadat ik startte met de inname van microvoedingsstoffen als aanvulling op mijn voeding, kon ik weer lopen en lachen, en was ik er van overtuigd dat ik al weer gauw van mijn leven kon gaan genieten. Toen ik de rekeningen voor de microvoedingsstoffen, die duidelijk mijn gezondheid hadden verbeterd, aan mijn ziektekostenverzekering had opgestuurd, weigerde deze de kosten te vergoeden.

De diagnose kanker werd eind jaren negentig gesteld, en in 2001 begon ik met het nemen van micronutriënten, ter aanvulling op mijn voeding. Wanneer ik nu in de spiegel kijk, dan keren mijn gedachten vaak terug naar het verleden, maar steeds maar voor heel even. Tegenwoordig glimlacht een gelukkige vrouw uit de spiegel naar mij. Dansen is weer mijn favoriete bezigheid geworden en ik ben inmiddels oma geworden. Ik kon niet gelukkiger zijn.

101
Hoofdstuk 2 - De medische doorbraak naar natuurlijke beheersing van kanker Halle, augustus 2011 Barbara Saliger

De overwinning op kanker!

Deel 1: Iets onvoorstelbaars wordt mogelijk

Wat wij hebben gedaan om deze boodschap te verspreiden

Wanneer u de ervaringen van mevrouw Saliger op de vorige bladzijden hebt gelezen, vraagt u zich misschien af: zijn zulke successen ook in andere delen van de wereld bereikt? Waarom maken niet meer kankerpatiënten gebruik van deze kennis? Waarom wordt in de media daar niets over gemeld? Wat heeft u als wetenschappelijke pioniers gedaan om deze informatie te verspreiden? Deze vragen zijn natuurlijk, logisch en gerechtvaardigd. In deel 2 van dit boek zullen we u daarop een uitvoerig antwoord geven. Nu willen we ons tot enkele belangrijke antwoorden beperken.

Tegenwoordig beschikken we over informatie van vele duizenden kankerpatiënten, waarvan verschillende zelfs kopieën van hun medische verslagen hebben gestuurd. Veel van deze patiënten kregen meer dan tien jaar geleden de diagnose kanker en nu leiden zij een normaal leven. In dit boek willen we een paar van deze verslagen met u delen.

In 2001 werd deze doorbraak in de strijd tegen kanker in ons onderzoeksinstituut voor het eerst bevestigd. Daarna hebben wij er alles aan gedaan om de wereld daarover te informeren. Één van de eerste stappen was het bekendmaken van deze medische doorbraak in één van de grootste dagbladen ter wereld, de USA Today, op 8 maart 2002 (zie ook de inleiding).

In de daarop volgende jaren hebben we talloze voordrachten in de USA en in andere landen gehouden. We hebben universiteiten bezocht die zich vooral met oncologie bezighielden en hebben de artsen daar uitgenodigd deel te nemen aan een internationaal onderzoeksproject om miljoenen mensen te redden.

Tegelijkertijd ontwikkelde ons wetenschappelijk instituut zich tot een toonaangevend onafhankelijk onderzoeksinstituut op het gebied van natuurlijke geneesmethoden, gebaseerd op wetenschappelijke gronden. Wij kennen geen enkel ander onderzoeksinstituut dat meer wetenschappelijke gegevens over de natuurlijke bestrijding van kanker heeft gepubliceerd. Al onze onderzoeksresultaten zijn openbaar toegankelijk en op het Internet vastgelegd (www.drrathresearch.org).

102

Toename jaarlijkse artikelen over onderzoek op het gebied van “vitaminen en kanker”

Bron: www.ncbi.nlm.nih.gov/

Onze boodschap over het “einde van de kankerepidemie” met behulp van natuurlijke, niet patenteerbare middelen werd door patiënten en natuurtherapeuten wereldwijd verwelkomd. Voor de farma-geneeskunde en voor de “handel met de chemotherapie” vormen onze onderzoeksresultaten echter een grote bedreiging. Het mag dan ook geen verrassing zijn dat er een behoorlijke weerstand kwam.

In de afgelopen jaren werd deze weerstand echter duidelijke ondermijnd door de omvangrijke wetenschappelijke gegevens die ons instituut publiceerde – en door een ware explosie van onderzoeksresultaten wereldwijd, die vooral volgde op de eerste publicatie van deze medische doorbraak in de USA Today in het jaar 2002 (zie bovenstaande grafiek).

Het volgende hoofdstuk geeft u een overzicht van onze onderzoeksresultaten, die het loslaten van het farma-monopolie en de handel met chemotherapie en bestraling, mogelijk hebben gemaakt.

103
Hoofdstuk 2 - De medische doorbraak naar natuurlijke beheersing van kanker
1000 3000 5000 2001 2003 2005 2007 2009

Samenvatting van dit hoofdstuk

Aan het begin van dit hoofdstuk hebben wij enkele vragen geformuleerd. Op deze bladzijde kunt een kleine test doen.

Wist u dat: Natuurlijke, normale processen in ons lichaam door kankercellen worden nagebootst?

Dit biologische ‘bedrog’ de reden is waar-om kanker het afweersysteem van ons lichaam kan omzeilen?

Elk type kankercel gebruikt maakt van agressieve enzymen om die het bindweefsel rondom de cel vernietigen om zich te kunnen verspreiden en zo andere organen aan te tasten?

We door inzicht in de processen die in de cellen plaatsvinden, het sleutelproces van de uitbreiding van kanker hebben geïdentificeerd waardoor specifieke strategieën kunnen worden toegepast om deze ziekte doeltreffend en op natuurlijke wijze te bestrijden?

De aminozuren lysine en vitamine C de eerste twee natuurlijke stoffen zijn, die het bindweefsel rondom tumoren kunnen stabiliseren en dat dit een cruciaal proces is voor de uiteindelijke controle over de kankerepidemie?

104
De overwinning op kanker! Deel 1: Iets onvoorstelbaars wordt mogelijk

Als je scholier of student bent en vindt dat wat je zojuist hebt geleerd ook belangrijk is voor je medescholieren of -studenten, neem dit boek dan mee naar school of college en breng het onder hun aandacht en die van de leraar of docent.

105
Hoofdstuk 2 - De medische doorbraak naar natuurlijke beheersing van kanker
106

Het doel van dit boek: het tijdperk van de angst beëindigen!

107

Storm op Mars ‘Wetenschap als Kunst’ is een idee van August Kowalczyk.. ‘Storm op Mars’ is een microscoop beeld van een Melanoom

De foto werd gemaakt in het Dr. Rath Onderzoeksinstituut in Santa Clara, Californië, USA

De kunstgalerij kunt u bekijken op: www.dr-rath-humanities-foundation.org/exhibition/index.html

III.

Wetenschappelijke feiten die deze doorbraak onomkeerbaar maken

Inleiding do or Dr. Niedzwiecki

Voor elke wetenschapper is onderzoek op het gebied van kanker een van de meest veeleisende en wordt als tientallen jaren gekenmerkt door onvervulde hoop en op niets uitlopende ideeën. Het onderzoek naar kanker, gebaseerd op de nieuwe inzichten van Dr. Rath, werd één van de meest bevredigende projecten in mijn wetenschappelijke loopbaan.

Voordat ik bij Dr. Rath werkte, verrichte ik onderzoek naar allerlei biologische processen die ons lichaam zo bijzonder maken. Ik bestudeerde bijvoorbeeld hoe de ‘software’ in de celkern is opgebouwd, hoe cellen zich vermenigvuldigen en wat er gebeurt als ze verouderen. Ik had het geluk om veel onderzoek te kunnen verrichten in gerenommeerde onderzoeksinstituten in de Verenigde Staten en Canada en heb met twee Nobelprijswinnaars samengewerkt.

Mijn meest opmerkelijke wetenschappelijke reis begon toen ik, meer dan 20 jaar gelden, met Dr. Rath ging samenwerken. Het was mij van het begin af al duidelijk dat hij op een andere manier tegen bekende zaken aankeek en dat hij zag wat anderen niet zagen.

110
Samen met Dr Rath in de beginperiode van het onderzoek in 1991 De overwinning op kanker! Deel 1: Iets onvoorstelbaars wordt mogelijk

Zijn ideeën waren uitdagend en gaven tevens een eenvoudige verklaring voor gecompliceerde processen.

In 1999, werd ons eigen onderzoeksinstituut opgericht en Dr. Rath vroeg mij om dit te leiden. Ik nodigde enkele van mijn vroegere collega’s uit met ons samen te werken. Dankzij deze pioniers in het onderzoek naar kanker, Dr. Shrirang Netke en later Dr. Waheed Roomi, lukte het ons om al snel vooruitgang te boeken. In 2001 wisten wij al dat, de al tien jaar eerder door Dr. Rath aangegeven richting, de juiste was. Onze eerste uitdaging was om de meest effectieve groep natuurlijke stoffen te vinden voor het aan banden leggen van de invasie van kankercellen in het lichaam.

Tot nu toe hebben wij meer dan 60 publicaties over dit onderwerp uitgegeven, hebben wij aan veel wetenschappelijke congressen in de USA en andere landen deelgenomen, voordrachten gehouden, hoofdstukken in boeken geschreven en met andere groepen wetenschappers samengewerkt aan het onderzoek naar kanker- en andere wetenschappelijke projecten.

Wij zijn er trots op, dat vele studenten, die aan de onderzoeksprojecten in onze laboratoria hebben meegewerkt, met eigen ogen hebben kunnen zien welke bijzondere invloed microvoedingsstoffen hebben op het afremmen van de groei van kanker in verschillende stadia. Veel van deze jonge mensen hebben verder gestudeerd aan medische faculteiten. Zij vormen een nieuwe generatie van artsen, die met onbevooroordeelde blik natuurlijke behandelingen gebaseerd op wetenschappelijke gronden, voor hun patiënten zullen kiezen.

Ons onderzoeksteam wordt gedreven door grote ideeën en de wens om de iedereen te laten profiteren van ons werk.

111
Hoofdstuk 3 - Wetenschappelijke feiten, die deze doorbraak onomkeerbaar maken

De overwinning op kanker! Deel 1: Iets onvoorstelbaars wordt mogelijk

De kennis die u in dit hoofdstuk opdoet

In dit hoofdstuk zult u heel wat opsteken van talrijke interessante feiten rondom de boeiende mogelijkheden om kanker te overwinnen. U leert dat:

• naast het tomeloze groeiproces van kankercellen, er ook andere processen zijn die het verloop van kanker bepalen;

• naast vitamine C en lysine, er nog andere belangrijke microvoedingsstoffen zijn die dit ziekteproces op natuurlijke wijze een halt kunnen toeproepen.

• al deze microvoedingsstoffen samenwerken in een synergie, dat wil zeggen als een team, om met vereende krachten kanker onder controle te houden.

Maar het belangrijkste is dat wij u op de volgende bladzijden informeren over een aantal belangrijke wetenschappelijke argumenten omtrent de mogelijkheid om kanker langs natuurlijke weg onder controle te houden.

112

De b evindingen in d it boek open en de d eur n aar een werel d zond er kanker voo r toeko mst ige generaties.

113
Hoofdstuk 3 - Wetenschappelijke feiten, die deze doorbraak onomkeerbaar maken

De overwinning op kanker!

Deel 1: Iets onvoorstelbaars wordt mogelijk

De wetenschappelijke kant van kanker op eenvoudige wijze belicht.

Dit hoofdstuk gaat over wetenschap – de wetenschap over ziekten en de wetenschap over het leven. U zult misschien zeggen: “Ik ben geen wetenschapper, waarom zou ik de moeite doen om dit hoofdstuk te lezen en mij inspannen om de inhoud te begrijpen?”

Onze boodschap is duidelijk: de voorwaarde voor de controle over kanker is dat u, uw familie -ook uw kinderen- en miljoenen andere mensen beseffen wat de inhoud van dit boek betekent.

Het begrijpen van de beginselen van de natuurlijke controle over kanker is belangrijk voor iedereen en een voorwaarde voor het nemen van een weloverwogen en geïnformeerd besluit over de eigen gezondheid. Dit is niet alleen van belang indien u deze ziekte al heeft, maar vooral als u deze juist wilt voorkomen.

Deze nieuw verworven kennis kan voorkomen dat u slachtoffer wordt van de belanghebbenden bij het voortduren van de kankerepidemie als een wereldwijde afzetmarkt voor de handel in gepatenteerde “chemotherapie”.

Voor ons was twintig jaar geleden al duidelijk dat de als de ontdekking waarover wij in het vorige hoofdstuk schreven wetenschappelijk bevestigd werd, dit een overwinning op de kankerepidemie zou betekenen en daardoor dus een belangrijke vooruitgang voor de wereld.

Op de volgende bladzijden bespreken wij de belangrijkste resultaten uit het uitgebreide wetenschappelijke onderzoek dat wij de afgelopen tien jaren in ons onderzoeksinstituut hebben uitgevoerd.

Bij elk onderzoek wordt een verwijzing gegeven naar de originele wetenschappelijke publicatie. Aan het einde van dit hoofdstuk vindt u de bijbehorende internet links.

114

1 3

Celn iveau: de eerste stap om het wetenschappelijke bewijs te leveren is onderzoek naar het functioneren van de cel. Op dit niveau kunnen de verschillende biologische effecten van microvoedingsstoffen gedetailleerd worden bestudeerd.

2

Levende organismen: Nadat de basale werking van microvoedingsstoffen is vastgesteld, moet deze bevestigd worden bij levende organismen. Dat is nodig om:

• Vast te stellen of hetzelfde effect ook gesorteerd wordt in een complex levend systeem, zoals bij de mens.

• De veiligheid van deze microvoedingsstoffen te bevestigen.

Patiënten: Het uiteindelijke bewijs van de doeltreffendheid van microvoedingsstoffen wordt geleverd door kankerpatiënten. Hierbij zijn twee aspecten belangrijk:

• Kunnen microvoedingsstoffen de groei van tumoren stoppen en de uitzaaiing van kanker tegengaan?

• Kunnen microvoedingsstoffen reeds bestaande tumoren teniet doen?

3 - Wetenschappelijke feiten, die deze doorbraak onomkeerbaar maken 115
Hoofdstuk
Drie wetenschap pelijke argumenten

De overwinning op kanker!

Deel 1: Iets onvoorstelbaars wordt mogelijk

De sleutelmechanismen van kanker

Kankercellen gebruiken verschillende mechanismen of processen om te groeien, zich uit te zaaien en zich uiteindelijk van het lichaam meester te maken.

1. Invasie van kankercellen en metastasen. Het meest belangrijke mechanisme waarover kankercellen beschikken is het vermogen om het bindweefsel dat hen omringt te verteren voor een invasieve groei en de uitzaaiing (metastasen) in andere organen.

2. Vermeerdering van kankercellen en groei van tumoren. Een kenmerkende eigenschap van kankercellen is dat zij in staat zijn een wijziging aan te brengen in de ‘software’ van de celkern, waardoor ze onsterfelijk worden. Dit verklaart waarom kankercellen zich oneindig kunnen vermenigvuldigen om uiteindelijk het hele lichaam te overmeesteren.

3. De aanmaak van nieuwe bloedvaten, die de tumor voeden (angiogenese). Zodra de tumor een bepaalde grootte bereikt, gewoonlijk 1 tot 1,5 mm, dan kunnen die cellen niet langer van binnenuit gevoed worden. Dit is de aanleiding voor groeiende tumoren om nieuwe bloedvaten te vormen voor de voorziening van zuurstof en voedingstoffen. Deze aanmaak van nieuwe bloedvaten wordt ‘angiogenese’ genoemd. Het blokkeren van de angiogenese is een belangrijk speerpunt van het internationale onderzoek naar kanker.

4. Het opwekken van de natuurlijke dood van kankercellen (apoptose). We weten dat kankercellen niet sterven. Deze “onsterfelijkheid” van kankercellen komt door een genetische herprogrammering in de celkern. Als deze programmeringsfout wordt teruggedraaid dan zullen deze cellen een natuurlijke dood sterven. Dit is een voorwaarde om de voortdurende vermenigvuldiging van kankercellen te stoppen waardoor de tumor uiteindelijk zal verschrompelen en verdwijnen.

Het doeltreffend blokkeren van slechts één van deze mechanismen kan al voldoende zijn om kanker onder controle te krijgen.

116
Hoofdstuk 3 - Wetenschappelijke feiten, die deze doorbraak onomkeerbaar maken 117 Belangrijke do elen voor een werkzame controle over kanker op celniveau 1 2 4 3 1. Invasie van kankercellen en metastasering 2. Vermeerdering van kankercellen / groei van tumoren 3. Groei van nieuwe tumorbloedvaten (angiogenese) 4. Het opwekken van de natuurlijke dood van kankercellen (apoptose)

De overwinning op kanker!

Deel 1: Iets onvoorstelbaars wordt mogelijk

Belangrijke microvoedingsstoffen voor natuurlijke controle over kanker

In het vorige hoofdstuk hebben wij de belangrijke rol besproken van vitamine C en lysine bij het blokkeren van de verspreiding van kankercellen.

Ons onderzoek van meer dan tien jaar heeft uitgewezen, dat andere specifieke microvoedingsstoffen de doeltreffendheid van deze twee natuurlijke verbindingen in de beheersing van kanker kunnen verhogen.

Het werkzame spectrum van dit ‘team’ van microvoedingsstoffen kan op verschillende manieren worden ingezet voor de bestrijding van kanker. Bijvoorbeeld:

•Voor het ondersteunen van de aanmaak- en stabiliteit van het bindweefsel: vitamine C, lysine, proline, koper, mangaan.

•Stoffen die de bindweefselvertering remmen zijn: lysine, proline, vitamine C, N-acetyl-cysteïne (NAC), groene thee, selenium.

•Voor verhindering van de vorming van nieuwe bloedvaten (angiogenese): groene thee, NAC.

•Het opwekken van de natuurlijke dood van kankercellen (apoptose): vitamine C, groene thee, NAC, selenium, arginine, proline.

118

Planten als bron van microvo edingsstoffen in de strijd tegen kanker

Citrusvruchten zijn een belangrijke bron van vitaminen en andere microvoedingsstoffen en het is tevens wetenschappelijk bewezen dat deze de verspreiding van kankercellen blokkeren.

Recent onderzoek heeft aangetoond dat bepaalde extracten van groene thee (Catechinen) bijzondere effectieve natuurlijke verbindingen bezit die helpen in het remmen van de verspreiding van kankercellen.

119
Hoofdstuk 3 - Wetenschappelijke feiten, die deze doorbraak onomkeerbaar maken

De overwinning op kanker!

Deel 1: Iets onvoorstelbaars wordt mogelijk

Verhoogde biologische werkzaamheid door een synergie van microvoedingsstoffen die elkaars werking versterken

Bij het onderzoek naar kanker ging in de afgelopen decennia de aandacht vooral uit naar de werkzaamheid van afzonderlijke microvoedingsstoffen (o.a. vitamine C) die werden toegepast in zeer hoge doseringen.

De verbeterde aanpak van ons onderzoek heeft geleid tot een modern begrip over hoe de biologische doeltreffendheid van microvoedingsstoffen geoptimaliseerd kan worden.

Het belangrijkste uitgangspunt is ‘Synergie’. Dit is zo belangrijk, dat wij hier een nadere uitleg over geven:

1. Synergie is een fundament van leven. Vele biologische componenten werken samen met onze cellen om tot een gewenst biologisch resultaat te komen.

2. Synergie betekent dat de doeltreffendheid van een groep samenwerkende biologische bestanddelen groter is dan die van alle aparte bestanddelen bij elkaar opgeteld.

3. Vanuit het oogpunt van kankerbestrijding, betekent deze ‘Synergie’ van samenwerkende biologische bestanddelen dat grote hoeveelheden van slechts één individuele vitamine minder doeltreffend zijn dan een combinatie van een matige dosis van geselecteerde microvoedingsstoffen.

Dit principe wordt op de volgende bladzijde weergegeven en verderop in dit hoofdstuk komen wij hierop terug.

120

Het p rincip e van d e synergie

Vi tamine C Polyfeno len extra voordeel door synergie

Synergie is meer dan een optelli ng van losse onderdelen.

3 - Wetenschappelijke feiten, die deze doorbraak onomkeerbaar maken 121
Hoofdstuk
+

Het verhi nderen van bindweefselaantasti ng

Kankercel

Biologische schaar

Plasmin ogeenactivator (u rokin ase)

HET EERSTE BEWIJS

Het effect van microvoedingsstoffen op het blokkeren van de plasminogeenactivator die normaal in grote hoeveelheden door kankercellen wordt aangemaakt

Wij weten dat de agressiviteit van elke vorm van kanker afhangt van het aantal ‘biologische scharen’ dat door dat type kanker wordt aangemaakt.

Daarom zal iedere succesvolle aanpak tegen kanker zich moeten richten op het verhinderen van de overmatige en ongecontroleerde aanmaak van deze collageenverterende enzymen (zie ook hoofdstuk II).

122
De overwinning op kanker! Deel 1: Iets onvoorstelbaars wordt mogelijk

Biologische schaar

Biologische schaar

Metallopr oteinasen (MMP’s)

HET T WEEDE BEWI JS

Het effect van microvoedingsstoffen op het blokkeren van de aanmaak van de eveneens door kankercellen gepro duceerde Metalloproteinasen (MMP’s)

Bindweefsel (Co llageen)verter ing

Zie hoofdstuk II voor meer informatie

Wij hebben het effect van de synergie van microvoedingsstoffen getest op de twee belangrijkste enzymen die door kankercellen worden gebruikt. Wij wilden onderzoeken of de synergie van microvoedingsstoffen deze enzymen kan belemmeren.

Het eerste sleutelenzym is de plasminogeenactivator Urokinase (uPA), en op de tweede plaats zijn er de matrix metalloproteinasen (MMP2 en MMP9).

3 - Wetenschappelijke
maken 123
Hoofdstuk
feiten, die deze doorbraak onomkeerbaar

De overwinning op kanker! Deel 1: Iets onvoorstelbaars wordt mogelijk

Wetenschappelijk Bewijs:

Blokkeren van de aanmaak van de plasminogeenactivator (Urokinase) aangemaakt door kankercellen van de mens.

Wij testen bij menselijke prostaatkankercellen of het team van microvoedingsstoffen in staat was om de afscheiding van het enzym Urokinase, te belemmeren.

Daarvoor werden zes proeven uitgevoerd met groepen van evenveel prostaatkankercellen.

De eerste groep kreeg bij de proef geen microvoedingsstoffen en diende als controlegroep.

In de andere vijf groepen kreeg iedere volgende groep een oplopende dosis microvoedingsstoffen toegevoegd.

De volgende dag werd de hoeveelheid gemeten van het collageenverterende enzym urokinase bij elke testgroep.

Wij constateerden, dat naarmate de concentratie van microvoedingsstoffen groter was, des te kleiner de afscheiding van de urokinase ‘schaar-enzymen’ door de prostaatkankercellen was.

Intussen konden wij bevestigen, dat ditzelfde effect ook werd geconstateerd bij tal van andere soorten kanker bij de mens.

Dit betekent dat microvoedingsstoffen in staat zijn om de groei en de metastasering te verhinderen van veel kankersoorten in andere organen, omdat ze de productie van collageenverterende enzymen blokkeren.

Andere wetenschappers hebben deze onderzoekresultaten inmiddels bevestigd. Zij hebben aangetoond dat metastasering van kanker kan worden verhinderd bij muizen, bij wie het urokinase enzym genetisch uitgeschakeld was.

124
Hoofdstuk 3 - Wetenschappelijke feiten, die deze doorbraak onomkeerbaar maken 125 controle A a n m a a k v a n h e e t b i o l o g i s c h e s c h a a r e n z y m U r o k i n a s e 50 Concentratie microvoedi ngsstoffen (micro gram/milliliter) 250100 1000500 De volledige onderzoeksresultaten vindt u hier: http://www.drrathresearch.org/pub/voc/121 Hoe groter de concentrat ie microvoedingsst offen, des te minder kunnen kankercelenzymen het omliggende bindweefsel verteren Microvoedingsstoffen verhinderen de productie van ‘schaarenzymen’ door kankercellen.

De overwinning op kanker!

Deel 1: Iets onvoorstelbaars wordt mogelijk

Wetenschappelijk Bewijs:

Blokkeren van de aanmaak door van collageenverterende enzymen (MMP's) bij menselijke kankercellen.

Zoals wij weten, zijn de tweede groep collageenverterende enzymen die door kankercellen worden aangemaakt, de matrix metalloproteinasen (MMPs). Twee daarvan, MMP-2 en MMP-9 spelen een meest cruciale rol bij kanker.

Wij wilden weten, of de door ons onderzochte groep van microvoedingsstoffen ook in staat was tot verhindering van de aanmaak en uitscheiding van MMP-2 en MMP-9 door kankercellen.

Hiervoor gebruikten wij vijf testgroepen met een gelijk aantal cellen; deze keer verkregen uit menselijke blaaskanker. Aan de eerste groep werden geen microvoedingsstoffen toegevoegd, deze diende als controlegroep. In de andere vier groepen werd aan iedere volgende groep een hogere dosis microvoedingsstoffen toegevoegd.

De volgende dag werd bij iedere testgroep de hoeveelheid door de cellen uitgescheiden MMP-2 en MMP-9 enzymen gemeten. De resultaten ziet u op de volgende bladzijde.

Net zoals bij het voorgaande experiment met Urokinase, constateerden wij ook hier, dat micro-voedingsstoffen de aanmaak van MMP ‘schaarenzymen’ kunnen afremmen. Van belang is vooral het feit dat hogere concentraties microvoedingsstoffen ook in staat waren om de afscheiding van beide MMP enzymen door kankercellen, volledig tot stilstand te brengen.

Inmiddels waren wij in staat om dit effect van microvoedingsstoffen te bevestigen in 40 soorten kanker bij de mens.

126

Hoe hoger de concentratie microvoedingsstoffen, des te minder collageenverterende enzymen het omliggende bindweefsel kunnen vernietigen

Hoofdstuk 3 - Wetenschappelijke feiten, die deze doorbraak onomkeerbaar maken 127
10 50 50 010 0c ontro le Microvoedingsstoffenconcentrat ie (micro gram/milliliter)
MMP 2 MMP 9
U kunt de volledige onderzoekresultaten lezen op deze websites: • http://www.drrathr esearch.org/pub/voc/123 • http://www drrathr esearch org/pub/voc/124 Microvoed ingssto ffen remmen de aanmaak van schaarenzymen (MMPs) in menselijke kan kercellen H o e v e e l h e i d d o o r k a n k e r c e l l e n a a n g e m a a k t e M M P e n z y m e n

De overwinning op kanker!

Testen van het vermogen van microvoedingsstoffen om de invasie van kankercellen te belemmeren

De volgende vraag was of het team van microvoedingsstoffen niet alleen de ‘schaar-enzymen’ kon tegenhouden, maar ook kon voorkomen dat kankercellen door het bindweefsel breken om andere organen binnen te dringen.

Om deze vraag te beantwoorden hebben wij een testsysteem opgezet, met enkele stoffen die de situatie in het menselijk lichaam simuleren (zie volgende bladzijde ):

• De reageerbuisjes werden gevuld met een oplossing zoals die in het lichaam van de mens voorkomt (lichaamsvloeistof).

• De bovenste helft van de buisjes werd van de onderste helft gescheiden door een membraan van bindweefsel, de matrigel. Zo werd de situatie in menselijk weefsel nagebootst.

• De bovenste helft van de buisjes bevatte gelijke hoeveelheden van menselijke kankercellen.

Het enige verschil tussen buisje A en buisje B was dat alleen aan buisje B microvoedingsstoffen werden toegevoegd.

Van eerdere proeven wisten wij, dat kankercellen gemakkelijk door het scheidende membraan van bindweefsel kunnen snijden. Men kan dan de kankercellen van de andere kant van het membraan tellen. In het algemeen is het zo, hoe agressiever het kankertype is, des te meer kankercellen er aan de andere kant van het membraan worden gevonden.

Door omvangrijke reeksen proeven, konden wij aantonen, dat het team van microvoedingsstoffen in staat was om alle onderzochte types kankercellen te verhinderen om door het bindweefsel te breken.

Op de volgende bladzijden staat gedetailleerde informatie over enkele van deze onderzoeksresultaten.

Deel 1: Iets onvoorstelbaars wordt mogelijk 128

3 - Wetenschappelijke feiten, die deze doorbraak onomkeerbaar maken 129 AB Microvoedingsstoffen verhin deren dat kankercellen door het bindweefsel heen gaan.
testen van de invasie van kankercellen STOP
Hoofdstuk
Het

De overwinning op kanker! Deel 1: Iets onvoorstelbaars wordt mogelijk

Wetenschappelijk bewijs:

Microvoedingsstoffen remmen de uitzaaiing van kankercellen bij de mens

Fibrosarcoom is een veel voorkomende vorm van bindweefselkanker. Deze kankersoort ontwikkelt zich wanneer de ‘software’ van de fibroblasten veranderd, waardoor ze kankerverwekkend worden (fibroblasten zijn de meest voorkomende cellen in het collageen).

Wij onderzochten het remmende effect van microvoedingsstoffen op de verspreiding van deze fibrosarcoomcellen door het uitvoeren van dezelfde proeven die op de vorige bladzijden zijn beschreven. De vier bovenste afbeeldingen op de volgende bladzijde tonen de het microscoopbeeld van fibrosarcoomcellen (donkerbruine structuren), die door het collageenmembraan zijn gedrongen.

• Afbeelding A, ‘Controle’ werd gemaakt van een proef zonder toegevoegde microvoedingsstoffen. De meeste fibrosarcoomcellen waren door het membraan heen gedrongen.

• De afbeeldingen B,C en D uit dezelfde test, laten duidelijk zien dat hoe hoger de concentratie microvoedingsstoffen rondom de kankercellen is, hoe moeilijker het is om door de collageenmatrix heen te gaan.

Het is duidelijk dat bij de hoogste concentratie microvoedingsstoffen (afbeelding D) er geen kankercellen te zien zijn, omdat de mogelijkheid om door het bindweefsel heen te dringen geblokkeerd was. De kleine donkere stipjes in de afbeeldingen zijn geen cellen, maar de achtergrond van het membraan.

Het onderste deel van de afbeelding toont de gemeten resultaten. Hoe hoger de (paarse) kolommen, des te effectiever remden de microvoedingstoffen de verspreiding van kanker. Bij de hoogste concentratie microvoedingsstoffen konden de kankercellen niet meer door het bindweefselmembraan heen gaan (kolom D).

130
Hoofdstuk 3 - Wetenschappelijke feiten, die deze doorbraak onomkeerbaar maken 131 Microvoedingsstoffen blo kkeren de uitzaaiing van kankercellen De volledige onderzoeksresultaten vind u op deze website: http://www drrathresearch or g/pub/voc/127 B 10 m cg/ml D 1000 mcg/ml Microvoedingsstoffen remmen de uitzaaiing van de bindweefselkanker (fibrosarcoom) 10controle 1000100 Concentratie van microvoedingsstoffen (Microgram/milliliter) R e m m i n g v a n u i t z a a i i n g e n ( % ) Invasie van alle cellen 100% blokkering van de uitzaai ing van kankercel len BCDA A Controle C 100 mcg/ml

De overwinning op kanker!

Deel 1: Iets onvoorstelbaars wordt mogelijk

Wetenschappelijk bewijs: microvoedingsstoffen remmen de uitzaaiing van borstkankercellen

Wij waren bijzonder geïnteresseerd in de werkzaamheid van microvoedingsstoffen bij een van de van de meest voorkomende vormen van kanker.

De meest voorkomende kwaadaardige aandoeningen bij vrouwen is borstkanker. Deze vorm van kanker wordt in twee hoofdgroepen onderverdeeld. De eerste groep is borstkanker die wordt bevorderd door het hormoon oestrogeen, daarom worden de cellen van dat type borstkanker aangeduid als oestrogeen-afhankelijk en de tweede groep als oestrogeen-onafhankelijk.

Wij hebben onderzocht of het team van microvoedingsstoffen in staat was om het uitzaaien van beide soorten borstkankercellen te verhinderen. Om dat te onderzoeken hebben weer dezelfde proefopstelling gebruikt als op de voorgaande bladzijden werd beschreven.

Ook bij dit onderzoek zagen we dat de kans op uitzaaiing afneemt naar mate men de concentraties aan microvoedingsstoffen verhoogt. Bij de hoogste concentratie van microvoedingsstoffen, konden de borstkankercellen niet meer door het bindweefselmembraan dringen.

Het resultaat was bemoedigend: zowel bij het type oestrogeen-afhankelijke, als bij het type oestrogeen-onafhankelijke borstkanker werd hetzelfde positieve resultaat geboekt. Op de volgende bladzijde wordt dit in een grafiek weergegeven.

Het microscoopbeeld onderaan de bladzijde hiernaast toont een soort borstkanker die men adenocarcinoom noemt. Deze kankersoort ontstaat in de kliercellen, rondom de melkkanalen in de borst. Dit is een van de meest voorkomende vormen van kwaadaardige aandoeningen bij vrouwen.

132
Hoofdstuk 3 - Wetenschappelijke feiten, die deze doorbraak onomkeerbaar maken 133 Oestrogeen onafh ankelijke b orstkanker Oestrogeen afhankel ijke Bo rstkanker Controle 10 50 100 Concentraties van microvoedingsstoffen r ondom de kankercellenV e r h i n d e r i n g v a n d e u i t z a a i i n g v a n k a n k e r c e l l e n ( % ) Contr ole 10 50 100 Concentraties van m icrovoedings stoffen rondom de kankercellen R e m m i n g u i t z a a i i n g e n ( % ) Microscoopbeeld van menselijke borstkanker (Adenocarcinoom) 100% Blokkering van de uitzaaiing van kankercellen 100% Bl okkeri ng van de ui tzaaii ng De volledige onderzoekresultaten staan op internet: http://www drrathresearch or g/pub/voc/129 Microvoed ingsstoffen remmen de uitzaaiing van borstkankercellen.

De overwinning op kanker! Deel 1: Iets onvoorstelbaars wordt mogelijk

Wetenschappelijk bewijs:

Microvoedingsstoffen remmen de uitzaaiing van prostaatkankercellen.

Een van de meest voorkomende vormen van kanker bij mannen is prostaatkanker. Net zo als borstkanker bij vrouwen, kan prostaatkanker afhankelijk zijn van hormonen. In dit geval wordt de groei geregeld door mannelijke hormonen zoals testosteron.

Wij onderzochten of het team van microvoedingsstoffen in staat was om de uitzaaiing van menselijke prostaatkankercellen tegen te houden. Wij hebben dezelfde proefopstelling gebruikt, zoals hiervoor werd beschreven, om deze vraag te beantwoorden.

Net zoals bij fibrosarcoom en bij borstkanker zagen wij ook hier dat de uitzaaiing van kankercellen afneemt naarmate de hoeveelheden microvoedingsstoffen toeneemt. En weer konden bij de hoogste concentratie microvoedingsstoffen de prostaatkankercellen niet door het bindweefselmembraan heen dringen.

Dezelfde bemoedigende resultaten verkregen wij voor zowel de hormoon-afhankelijke als de hormoon-onafhankelijke groepen van prostaatkanker. De grafieken op de bladzijde hiernaast vatten deze resultaten samen.

Het microscoopbeeld onderaan de volgende bladzijde toont een adenocarcinoom van de prostaat. Wij weten al, dat deze vorm van kanker ontstaat in hormoonproducerende klieren.

Deze sterk vergrootte afbeelding werd gemaakt met een Scanning Electronen Microscoop (SEM) en toont de kanalen in de prostaat, die helemaal bedekt zijn met carcinoomcellen.

134
Hoofdstuk 3 - Wetenschappelijke feiten, die deze doorbraak onomkeerbaar maken 135 Microvoed ingsstoffen remmen de uitzaaiing van prostaatkankercellen Horm oon onafhankelijke prostaatkanker
afhankelijke prostaatkanker Controle 10 50 100 1000 Concentraties van microvoedingsstoffen r ondom de kankercellen
10 50 100 1000 concentraties van microvoedingss toffen r ondom de kankercellen R e m m i n g v a n u i t z a a i i n g e n ( % ) R e m m i n g v a n u i t z a a i i n g e n ( % ) Microscoopbeeld van menselijke prostaatkanker (Adenocarcinoom) 100% B lokkering van de uitzaai ng van kankercell en 100% Bl okkeri ng van uit zaaiing van kankercellen
staan online
Hormoon
Controle
De volledige onderzoekresultaten
op: http://www.dr rathresearch.org/pub/voc/131

De overwinning op kanker! Deel 1: Iets onvoorstelbaars wordt mogelijk

Microvoedingsstoffen remmen de uitzaaiing van meer dan 40 kankersoorten bij de mens

Bij het doorlezen van de vorige bladzijden komt u misschien op hetzelfde idee als wij kregen toen wij deze onderzoeken uitvoerden: Kan de oplossing van de kankerepidemie zo eenvoudig en zo universeel zijn? Om die vraag te beantwoorden hebben wij de doeltreffendheid van het door ons samengestelde team van microvoedingsstoffen onderzocht op alle huidige bekende soorten kanker die bij mensen voorkomen.

In totaal hebben wij de doeltreffendheid van de synergie van microvoedingsstoffen op meer dan 40 soorten menselijke kanker onderzocht. Wij onderzochten onder andere enkele van de meest voorkomende soorten kanker, die van invloed zijn op het leven van miljoenen mensen, zoals longkanker, darmkanker, alvleesklierkanker, hersentumoren, bloedkanker, huidkanker, eierstokkanker en nog vele andere.

Bij het onderzoek naar al deze soorten van menselijke kanker stelden wij vast dat de synergie van de microvoedingsstoffen in staat was om het uitzaaien van alle menselijke kankercellen volledig te blokkeren. Het enige verschil was de hoeveelheid van microvoedingsstoffen die nodig waren om dit doel te bereiken.

Sommige voorstanders van chemotherapie zullen zeggen dat de oplossing van het kankerprobleem niet zo eenvoudig kan zijn. Maar het is zo en wij weten nu waarom: Alle kankercellen gebruiken hetzelfde mechanisme om het door het omliggende weefsel heen te dringen en zich so uit te zaaien (metastaseren). Aangezien microvoedingsstoffen in staat zijn om dit algemene celmechanisme te blokkeren, kunnen zij het uitzaaien van alle soorten kanker verhinderen ongeacht hun oorsprong.

Dit betekent natuurlijk niet dat kanker in elk stadium van ontwikkeling gestopt kan worden door microvoedingsstoffen. Dit geldt in het bijzonder voor patiënten in een gevorderde fase van kanker en ook in gevallen waar het immuunsysteem – en daarmede de mogelijkheid van het lichaam om kanker te bestrijden – vernietigd is door chemotherapie.

136
Hoofdstuk 3 - Wetenschappelijke feiten, die deze doorbraak onomkeerbaar maken 137 Volledige blokkering met lage concentraties voedingsstoffen • Borstkanker • Hodgkin’s
Volledige blokkering met matige concentratie voedingsstoffen • Longkanker • Endeldarmkanker • Baarmoederhalskanker • Huidkanker
• Botkanker
• Teelbalkanker • Bloedkanker
• Alvleesklierkanker Volledige blokkering met hoge concentraties voedingsstoffen • Leverkanker • Blaaskanker • Nierkanker • Eierstokkanker • Prostaatkanker • Hersenkanker
• Bloedkanker
Microvoedingsstoffen zijn in staat om het uitzaaien van alle door ons onderzochte soorten kankercellen te verhinderen. De volledige onderzoekresultaten staan op inter net http://www.drrathresearch.or g/pub/voc/133 Natuurlijke blokkering van het uitzaaien van kanker voorbeelden van menselijke kankersoorten
Lymfoom
(Melanoom)
(Osteosarcoom)
(Non Hodgkin Lymfoom)
(Glioblastoom)
( Leukemie, PML)

De overwinning op kanker! Deel 1: Iets onvoorstelbaars wordt mogelijk

Wetenschappelijk bewijs:

Microvoedingsstoffen verhinderen metastasering in levende organismen (in vivo) (I)

Nadat we de voordelen van microvoedingsstoffen bij het blokkeren van uitzaaiingen in het laboratorium (in vitro) hadden vastgesteld, was onze volgende stap naar het verkrijgen van meer wetenschappelijk bewijs, het onderzoek op een levend organisme (in vivo).

Wij hebben onze plannen om onderzoek te doen op muizen voorgelegd aan de Amerikaanse etisch-wetenschappelijke commissie die na zorgvuldige overweging toestemming gaf om dit belangrijk onderzoek in vivo uit te voeren. In dit geval oordeelde men dat dierproeven gerechtvaardigd waren aangezien er ieder jaar meer dan 4 miljoen mensen sterven aan kanker, zolang er geen afdoende behandeling gevonden wordt.

Om toch ook dierenlevens te sparen, begonnen wij direct met onderzoek naar het grootste probleem bij kanker: het voorkomen van metastase. Per slot van rekening sterven 9 van de 10 patiënten aan de uitzaaiingen (metastaserende) van kanker en niet aan een enkele tumor in één orgaan.

Wij hebben het vermogen van microvoedingsstoffen om metastasen te remmen op de volgende manier onderzocht: Alle muizen werden geïnjecteerd met een gelijke hoeveelheid huidkankercellen (melanoom). Daarna werden ze verdeeld in drie groepen: a) een controlegroep die geen extra microvoedingsstoffen kreeg, b) een groep die microvoedingsstoffen via de voeding kreeg en c) een groep, die de microvoedingsstoffen rechtstreeks in het bloed toegediend kreeg (intraveneus).

Daarna werd het aantal metastasen in de longen vastgesteld. Daarbij constateerden wij, dat de toevoeging van microvoedingsstoffen aan de voeding, het aantal metastasen in de longen met 60% verminderde. Bij de groep die de microvoedingsstoffen rechtstreeks in het bloed kreeg toegediend waren de resultaten nog veel beter: hierbij werd 80% minder metastasen gevonden in vergelijking met de controlegroep die geen extra microvoedingsstoffen had gekregen.

138

Microvoedingsstoffen

verhinderen metastasering van melanoomcellen naar de lon gen

Metastasen in de long (zwarte vlekken)

Aantal longmetastasen 50 10

Geen extra microvoedingsstoffen

In de voeding Intraveneus Supplementering microvoedingsstoffen

De volledige onderzoekresultaten staan online op http://www drrathresearch or g/pub/voc/135

Microvoedingsstoffen kunnen metastasen van kanker in vivo verminderen.

Wanneer zijn dierproeven gerechtvaardigd?

Ons standpunt over dit onderwerp is duidelijk. In het algemeen dient leven beschermd te worden en dierproeven moeten tot een absoluut minimum worden beperkt. Zij kunnen overwogen worden in die gevallen waar de resultaten van deze proeven regelrecht mensenlevens kunnen redden en er geen andere mogelijkheden openstaan. In het geval van kanker, waarbij miljoenen mensenlevens op het spel staan, zijn wij ervan overtuigd, dat de hier beschreven dierproeven van beslissende invloed zijn op het voorkomen van onnodig lijden en sterven van mensen.

3 - Wetenschappelijke feiten, die deze
onomkeerbaar maken 139
Hoofdstuk
doorbraak

De overwinning op kanker! Deel 1: Iets onvoorstelbaars wordt mogelijk

Wetenschappelijk bewijs:

Microvoedingsstoffen verhinderen metastasering van kanker in levende organen. (II)

Bij de vorige onderzoeken hebben we laten zien dat microvoedingsstoffen – vooral wanneer deze rechtstreeks in de bloedbaan werden geïnjecteerd – kunnen verhinderen dat kankercellen zich uitzaaien in de longen.

Dit was een belangrijke stap maar het is geen precieze weergave van de ontwikkeling van kanker bij mensen. Gewoonlijk begint kanker bij mensen met een ‘oorspronkelijke tumor’ in een bepaald orgaan. Van daaruit metastaseren kankercellen naar andere organen in het lichaam van de patiënt. Het is dus ook van belang om te weten of microvoedingsstoffen de uitzaaiing van kanker vanuit het oorspronkelijke orgaan naar een ander, kunnen verhinderen.

Om dit belangrijke feit vast te stellen hebben wij melanoomcellen rechtstreeks in de milt van muizen geïnjecteerd. Daarna gaven wij een groep muizen (de controlegroep) een dieet zonder extra microvoedingsstoffen. De andere groep kreeg dagelijks een dieet met een supplement van microvoedingsstoffen. Vervolgens werden de organen onderzocht op groei van de oorspronkelijke tumor in de milt (afbeelding A) en op de aanwezigheid van metastasen in de lever; een orgaan waarin vaak metastasen van melanoomkanker voorkomen (afbeelding B).

De resultaten van ons onderzoek waren net zo opmerkelijk als bij de vorige tests. Wij hebben vastgesteld, dat dieren die microvoedingsstoffen aan het dieet toegevoegd kregen, opvallend minder groei in de oorspronkelijke tumor te zien gaven. De metastasering vanuit het oorspronkelijke orgaan (milt) naar de lever werd met bijna de helft beperkt.

Vervolgonderzoeken moeten uitwijzen of een verhoogde dosis van microvoedingsstoffen het metastaseren naar andere organen nog verder kan verminderen of zelfs helemaal blokkeren.

140

Microvoedin gsstoffen verhind eren de metastaering van kan ker van orgaan naar orgaan

A

Prim aire t umor in de m ilt

Geen extra microvoedingsstoffen

De tumor (zwarte plekken) heeft het orgaan enorm vergroot

B

Met extra microvoedingsstoffen

De tumor is duidelijk kleiner. Het orgaan is niet groter geworden.

M etastasen in de lever

Geen extra microvoedingsstoffen

De vergrote lever toont vele metastasen (zwarte plekken)

Met extra microvoedingsstoffen

Het aantal metastasen in de lever is fors verminderd. Het orgaan is niet groter geworden.

Microvoedingsstoffen kunnen de metastasering van het ene orgaan naar het andere duidelijk verminderen.

De volledige onder zoeksresultaten staan online op http://www.drrathresearch.or g/pub/voc/137

3 - Wetenschappelijke feiten, die deze
maken 141
Hoofdstuk
doorbraak onomkeerbaar

De overwinning op kanker! Deel 1: Iets onvoorstelbaars wordt mogelijk

Wij hebb en als schrijvers van d it boek veel m oeite gedaan om deze ing ewikkelde, m aar levensredd ende me dische en wet enschapp e lijke kenni s te b esch rijven op een m anier, die doo r iedereen begr e pen kan worden .

U it f eed b ack va n o nze lez er s wet en wi j da t w e da ar in vo or ee n gro ot deel geslaagd zijn.

142

Hoofdstuk 3 - Wetenschappelijke feiten, die deze doorbraak onomkeerbaar maken

Wij zijn er o ns natu urlijk oo k van bewu st, dat u en ieder e ni euwe lezer van di t b oek zi ch enige moei te m oet getroo sten om d eze b e langw ekkende, n ieuwe inf ormat ie op t e nemen. Voord at we verder gaan willen we een ko rte pau ze inlassen .

Om eve n te on tspann en vo ord at u verd er leest, w illen wij me t u het uitzicht delen dat wij hadden tijdens het schr ijven van dit boek.

143

De overwinning op kanker! Deel 1: Iets onvoorstelbaars wordt mogelijk

Hoe microvoedingsstoffen de groei van tumoren blokkeren

Tot nu toe hebben wij de resultaten getoond van het onderzoek over de verspreiding van kankercellen en de metastasering; de twee belangrijkste mechanismen voor de groei van kanker.

In de loop van ons jarenlange onderzoek, waren wij natuurlijk ook benieuwd of microvoedingsstoffen tevens in staat zijn om invloed uit te oefenen op andere belangrijke mechanismen die een rol spelen bij de ontwikkeling van kanker en of ook deze misschien konden worden afgeremd. Daarom vestigden wij onze aandacht op een ander aspect, namelijk het fundamentele mechanisme van de tumorgroei: de onbeheerste vermenigvuldiging van cellen, die zo een tumor vormen.

De groei van normale cellen is streng gereguleerd. Sommige cellen in ons lichaam groeien en vermenigvuldigen zich bijzonder snel, bijvoorbeeld bloedcellen (erythrocyten, leukocyten); en de cellen die onze darmen en onze huid bekleden. De meeste cellen vermenigvuldigen zichzelf minder vaak en sommige cellen vermenigvuldigen zich slechts zelden, zoals botcellen en zenuwcellen.

In tegenstelling daarmee hebben kankercellen de mogelijkheid om hun groei te reguleren verloren en vermenigvuldigen zij zich voortdurend. Bovendien worden kankercellen, per definitie, onsterfelijk en leven dus altijd door tot aan de dood van de patiënt. Beide mechanismen samen hebben een vernietigend effect op het orgaan waarin de kanker zich ontwikkelt. Vroeger of later neemt de tumor de belangrijkste delen of het hele orgaan in beslag.

Het microscoopbeeld onderaan de volgende bladzijde laat zien hoe een agressieve botkankercel zich splitst (Erwin sarcoma). De beide celkernen, de blauwe vormen, zijn al volledig uit elkaar gegaan. De rest van de cellichamen zullen spoedig volgen.

144

2Splits ende botkankercellen (Ewing sarcoma) opname met een elektronenmicroscoop

3
Wetenschappelijke
maken 145
Hoofdstuk
-
feiten, die deze doorbraak onomkeerbaar
Kankercellen delen zich voortdurend om een nieuwe tumor te vo rmen.
Tumorcellen vermenigvuldigen zich onophoudelijk (schematisch)

De overwinning op kanker!

Deel 1: Iets onvoorstelbaars wordt mogelijk

Wetenschappelijk bewijs:

Microvoedingsstoffen blokkeren de groei van tumoren

Om het effect van microvoedingsstoffen op de vermenigvuldiging van tumorcellen te testen, hebben wij het volgende onderzoek gedaan:

Wij hebben twee groepen muizen met evenveel botkankercellen (osteosarcoom) geïnjecteerd. Één groep kreeg geen extra microvoedingsstoffen en de andere kreeg wel een dieet met extra microvoedingsstoffen.

Zoals op de volgende bladzijde wordt weergegeven, waren de resultaten verbazingwekkend. Afbeelding A toont een grote tumor, die zich had ontwikkeld in een dier, dat geen extra microvoedingsstoffen kreeg. Afbeelding B toont een tumor van een dier dat hoge doses microvoedingsstoffen kreeg toegediend. Het verschil is duidelijk zichtbaar.

Deze resultaten werden bevestigd toen de tumoren onder de microscoop werden onderzocht. De afbeeldingen onderaan de bladzijde tonen sterk vergrote doorsneden van tumorweefsel. De individuele tumorcellen zijn in beide afbeeldingen zichtbaar. Echter, de afbeelding links – zonder extra microvoedingsstoffen – laat veel meer splitsende cellen zien (bruine kleur) dan de afbeelding rechts – met extra microvoedingsstoffen.

De groei van alle soorten menselijke tumoren, door ons onderzocht, kon door microvoedingsstoffen in verschillende mate geremd worden:

Borstkanker 78%

Schildklierkanker 64%

Darmkanker 63%

Fibrosarcoom 59%

Melanoom 57%

Osteosarcoma 53%

Prostaatkanker 47%

Longkanker 44%

Synoviaalsarcoom 44%

Leverkanker 36%

146

Microvoedingsstoffen blo kkeren de groei van tumoren

Groei van botkanker (Osteosarcoom) bij muizen

A B

Zonder extra microvoedingsstoffen

Met extra microvoedingsstoffen

M icros coopbeelden van de tumor en bij A en B De br uine kleur wijst op kankercellen die zich verm enigvuldigen op het m om ent van de opnam e O pvallend is het grote aantal kankerceldelingen in afbeelding A zonder extra toevoeging van m icrovoedings stoffen.

Microvoedingsstoffen zijn in staat om de vermenigvuldiging van kankercellen af te remmen.

De volledige onderzoekresultaten staan online op: http://www.drrathresearch.or g/pub/voc/143

Hoofdstuk 3 - Wetenschappelijke feiten, die deze doorbraak onomkeerbaar maken 147

Microvoedingsstoffen en de vorming van nieuwe bloedvaten in tumoren (Angiogenese)

Een ander belangrijk mechanisme in de ontwikkeling van kanker is de vorming van nieuwe bloedvaten, die de tumor voeden. Iedere tumor heeft voortdurend voedingsstoffen nodig om te kunnen groeien en zich uit te breiden. Zodra een tumor groter dan 1 tot 1,5 mm wordt, kan deze niet verder groeien als er geen nieuwe bloedvaten worden aangemaakt voor de voedselvoorziening.

Om de vorming van deze nieuwe bloedvaten (angiogenese) in gang te zetten, maken kankercellen verschillende signaalmoleculen aan. Deze signaalmoleculen worden uitgezonden naar dichtbij liggende bloedvaten, of haarvaten om die te laten vertakken. Door de invloed van deze signaalmoleculen scheiden de cellen die de wanden van de bloedvaten bekleden (endotheelcellen) zich af van het bloedvat en verhuizen in de richting van de tumor. De afbeeldingen op de volgende bladzijde illustreren dit belangrijke proces.

In de bovenste afbeelding is het nieuwe bloedvat omcirkeld dat zich gevormd heeft uit het oorspronkelijke bloedvat en dat nu de tumor van bloed voorziet. Het onderste plaatje toont het microscoopbeeld hoe een heel vertakkingsysteem van bloedvaten diep in de tumor doordringt (zwarte vlakken). De typische vorm van deze structuren, die wel op wortels van planten lijken, zijn duidelijk zichtbaar.

De groei van nieuwe bloedvaten door een weefsel heen, vereist een herstructurering van het gehele weefselgebied. Iedere herstructurering in het lichaam vereist op zich weer, dat collageen-, en andere bindweefselmoleculen afgebroken moeten worden met behulp van collageenverterende enzymen.

Op grond van de gedetailleerde kennis van deze mechanismen, wilden wij nu weten, of microvoedingsstoffen ook in staat zouden zijn om de angiogenese, een ander hoofdmechanisme van kanker te blokkeren.

De
148
overwinning op kanker! Deel 1: Iets onvoorstelbaars wordt mogelijk

De vorming van nieuwe bloedvaten om de tu mor te voeden

Schematische weergave van de vorming van een tumorbloedvat

Afbeelding van de vorming van een tumor bloedvat onder de microscoop

149
Hoofdstuk 3 - Wetenschappelijke feiten, die deze doorbraak onomkeerbaar maken
3

De overwinning op kanker!

Deel 1: Iets onvoorstelbaars wordt mogelijk

Wetenschappelijk bewijs:

Microvoedingsstoffen verhinderen de vorming van nieuwe bloedvaten in tumoren

Om te onderzoeken wat de werkzaamheid van microvoedingsstoffen is bij het verhinderen van de vorming van nieuwe bloedvaten rondom tumoren, hebben wij een soortgelijk onderzoek verricht zoals hiervoor werd beschreven.

Twee groepen muizen kregen gelijke hoeveelheden botkanker (osteosarcoom) cellen ingespoten. Uit de eerder onderzoek wisten wij al dat dieren die extra microvoedingsstoffen kregen, duidelijk kleinere tumoren ontwikkelden.

In deze reeks onderzoeken keken wij met bijzondere belangstelling naar in hoeverre extra microvoedingsstoffen in staat zouden zijn om de vorming van nieuwe tumorbloedvaten te verhinderen.

Als we van buitenaf naar de tumor kijken (zie A op de volgende bladzijde) is het netwerk van bloedvaten gevormd in de tumor, bij muizen die geen extra microvoedingsstoffen kregen duidelijk zichtbaar.

De microscoopbeelden aan de rechterkant bevestigen deze waarneming. De weefseldoorsnede van de tumoren van de muizen die geen extra microvoedingsstoffen kregen laten zien, dat de tumor een grote hoeveelheid nieuwe bloedvaten heeft ontwikkeld (rode structuren).

Daarentegen laat de doorsnede van de tumoren van de muizen die hoge doseringen microvoedingsstoffen kregen toegediend, weinig of helemaal geen vorming van nieuwe bloedvaten zien.

Bovendien ontdekten wij de reden waarom microvoedingsstoffen deze dramatische uitwerking hadden: De extra microvoedingsstoffen zorgden ervoor dat productie van de signaalfactoren die door de tumorcellen worden aangemaakt om groei van bloedvaten te stimuleren, opmerkelijk was afgenomen. Het gaat daarbij om de endotheelgroeifactor (VEGF) en andere biologische signaalstoffen.

150

Wetenschappelijk bewijs:

Microvoedingsstoffen verhinderen de aanmaak van nieu we blo edvaten

Zonder micro voedings stoffen Met micro voedings stoffen

Microvoedingsstoffen helpen ook om de groei van tumoren te verminderen omdat zij de vorming van nieuwe bloed vaten die de tumor voeden, tegengaan.

De volledige onderzoekresultaten staan online op http://www dr rathresearch org/pub/voc/147

Hoofdstuk 3 - Wetenschappelijke feiten, die deze doorbraak onomkeerbaar maken 151
A B

De overwinning op kanker!

Deel 1: Iets onvoorstelbaars wordt mogelijk

Wetenschappelijk bewijs:

Microvoedingsstoffen verhinderen angiogenese in kweekjes

van menselijke cellen

Op grond van het feit dat het verhinderen van de angiogenese een centraal mechanisme is in de controle over kanker, geven vele farmaceutische bedrijven honderden miljoenen dollars uit om nieuwe synthetische stoffen die de angiogenese verhinderen te ontwikkelen. Zij kunnen daar dan patent op aanvragen en deze verkopen als kankergeneesmiddelen. Er wordt geschat dat de wereldmarkt voor deze zogenaamde angiogenese remmende medicijnen, tientallen miljarden dollars gaat opleveren.

Daarom zijn onze onderzoekresultaten, gebaseerd op de werkzaamheid van microvoedingsstoffen – die uiteindelijk allemaal natuurlijke stoffen zijn – van het grootste belang voor miljoenen patiënten en voor de gezondheidszorg wereldwijd. Dit heeft geleid tot een volgende stap om de rol van microvoedingsstoffen bij de controle over dit belangrijke genezende mechanisme te bevestigen.

Wij hebben daarbij een systeem gekozen, dat alle mogelijke verstorende factoren uitschakelt en zich slechts op één vraag concentreert: Kunnen microvoedingsstoffen ook bij menselijke cellen de vorming van bloedvaten rondom de tumor verhinderen? Voor het onderzoek hebben wij de cellen gebruikt die de wanden van bloedvaten bedekken (endotheelcellen) afkomstig uit menselijke navelstrengen. Deze cellen werden gekweekt en er werden toenemende hoeveelheden microvoedingsstoffen aan de kweekjes toegevoegd.

Zoals op de afbeeldingen op de volgende bladzijde te zien is, maakten de endotheelcellen die geen microvoedingsstoffen kregen, een dicht netwerk van haarvaten (Afb. A.) die zichtbaar zijn als donkere lijnen. Bij de kweekjes waar een toenemende hoeveelheid microvoedingsstoffen aan toegevogd werd, maakten de menselijke endotheelcellen minder van deze haarvaten aan (Afb. B, C en D). Bij de hoogste concentratie aan microvoedingsstoffen (D) werd de vorming van haarvaten volledig geblokkeerd.

Dit onderzoek is het onweerlegbare wetenschappelijke bewijs, dat microvoedingsstoffen krachtige middelen tegen kanker zijn en dat deze op grote schaal toegepast zouden moeten worden om de kankerepidemie in te perken.

152

Microvoedingsstoffen verhinderen dat menselijke endotheelcellen bloedvaten vormen

Dit is een model van een klein bloedvat (haarvat). De vorming ervan wordt bestudeerd in een model met menselijke cellen. De donkere buisjes zijn haarvaten.

A Contr ole C 500 mcg/ml

B 50 mcg/ml D 1000 mcg/ml

De afbeeldingen B en C tonen endotheelcellen die de m enselijke bloed vatwanden bekleden, waaraan in toenemende mate microvoedingsstoffen werden toegevoegd Bij de hoogste concentratie aan microvoedingsstoffen (D) werden er geen bloedvaten meer gevorm d

Microvoedingsstoffen kunnen verhinderen dat menselijke endotheelcellen haarvaten vormen, dit is belangrijk om groei van een tumor te verhinderen.

De volledige onderzoeksr esultaten vind u op deze website: http://www drrathr esearch org/pub/voc/149

3 - Wetenschappelijke feiten, die
onomkeerbaar maken 153
Hoofdstuk
deze doorbraak

De overwinning op kanker! Deel 1: Iets onvoorstelbaars wordt mogelijk

Microvoedingsstoffen en het veroorzaken de natuurlijke dood van kankercellen (Apoptose)

Kenmerkend voor elke vorm van kanker is dat kankercellen als het ware onsterfelijk zijn omdat zij de vaardigheid hebben ontwikkeld om ‘eeuwig’ te kunnen blijven leven. Deze verstoring van de normale levenscyclus van de cel wordt veroorzaakt door een fout in de software programmering (DNS) in de celkern van kankercellen. Het kunnen omzetten van deze biologische schakelaar om de natuurlijke door van kankercellen op te wekken, is een voorwaarde voor het ongedaan maken en het elimineren van kanker. Dit mechanisme dat de zelfmoord van kankercellen veroorzaakt noemt men apoptose: het natuurlijke afsterven van kankercellen. Dit woord stamt uit het Griekse woord voor afvallen (b.v. vallende bladeren).

Tegengesteld aan de apoptose is de voortijdige, onnatuurlijke, dood van cellen en levend weefsel als gevolg van necrose. Ook dit is een woord dat uit het Grieks stamt en afsterven betekent. Necrose kan worden veroorzaakt door uitwendig letsel aan cellen of weefsel zoals giftige chemotherapie, radioactieve bestraling en andere schadelijke middelen.

In het lichaam van de mens sterven elke dag tussen de 50 en 70 miljard normale cellen door apoptose. Kankercellen vormen daar een uitzondering op.

Natuurlijk wilden wij weten of microvoedingsstoffen deze natuurlijke dood kunnen opwekken in kankercellen, waardoor hun ‘onsterfelijkheid’ wordt teruggedraaid. Wij hebben dit proces uiterst gedetailleerd geanalyseerd en de daarbij betrokken genetische en cellulaire mechanismen geïdentificeerd. Onderaan de bladzijde hiernaast ziet u een kankercel die het proces van een natuurlijke dood door apoptose ondergaat. Karakteristiek is het ruwe oppervlak (uitlopers) dat de brokstukken van de cel-afbraak bevat.

Op de volgende pagina’s geven wij voorbeelden van onze onderzoeken naar de het effect van microvoedingsstoffen op het opwekken van apoptose bij kankercellen.

154

Natuurlijke dood van kankercellen

Schematische afbeelding van kankercellen die weer sterfelijk zijn geworden en vervolgens zijn gestorven.

Een kankercel pleegt zelfmoord door apoptose (microscoopbeeld)

Hoofdstuk 3 - Wetenschappelijke feiten, die deze doorbraak onomkeerbaar maken 155
4

De overwinning op kanker!

Deel 1: Iets onvoorstelbaars wordt mogelijk

Wetenschappelijk Bewijs:

Microvoedingsstoffen kunnen het natuurlijk afsterven van kankercellen teweeg brengen.

Een belangrijke stap in het onderzoek naar het proces van de apoptose van kankercellen is het zichtbaar maken van alle stappen ervan onder de microscoop.

Hiervoor werden bepaalde markers in de cel of in de celkern (nucleus) vastgelegd, waardoor het mogelijk werd om de cellen die een apoptose ondergingen te onderscheiden van andere levende cellen.

Hiernaast ziet u een melanoomcel die de apoptose ondergaat. Dit werd opgewekt door melanoomcellen aan een hogere dosis microvoedingsstoffen bloot te stellen. De details van dit onderzoek worden op de volgende bladzijden weergegeven.

De celkern, hiernaast, is wit omcirkeld. Het rode gebied toon het actieve proces van de celkernafbraak. De donkerrode vlekken (onder de loep) tonen het DNA en de bijbehorende celkern componenten, ingepakt in kleine, dichte bundeltjes.

Apoptose begint met het activeren van speciale enzymen in de cel, die leiden tot het uiteindelijke verval van alle componenten van de cel, inclusief de celkern.

Vervolgens ontstaan aan de oppervlakte uitlopers (zie vorige bladzijde). Uiteindelijk krimpt de cel en valt zij uiteen in kleine stukjes die worden opgeruimd door de witte bloedcellen (fagocyten), die gespecialiseerd zijn in de biologische afvalwerwerking.

156

Microvoedingsstoffen kunnen apoptose bewerkstelligen bij melanoomcellen.

Huidkankercel (melanoom) tijdens het biologische ‘zelfmoord’ proces (apoptose).

Microvoedin gstoffen kunnen processen in de cel bewerkstelligen die leiden tot de natuurlijke dood van kankercellen .

De volledige resultaten van dit onder zoek vindt u op: http://www.dr rathresearch.or g/pub/voc/153

3 - Wetenschappelijke feiten, die
onomkeerbaar maken 157
Hoofdstuk
deze doorbraak

De overwinning op kanker!

Deel 1: Iets onvoorstelbaars wordt mogelijk

Wetenschappelijk Bewijs:

De werkzaamheid van microvoedingsstoffen bij het teweeg brengen van de apoptose

Op deze bladzijde documenteren wij de resultaten van het onderzoek naar het vermogen van microvoedingsstoffen om reeds bestaande tumoren te laten krimpen of zelfs helemaal te laten verdwijnen.

Dit is een belangrijk vraagstuk omdat de reguliere geneeskunde in het algemeen niet in staat is om dit resultaat te bereiken. Chemotherapie kan door het vergiftigen van cellen, tijdelijk leiden tot het krimpen van tumoren, maar in het algemeen volgt daarop een hernieuwde groeistuip van de kanker. Dat komt omdat chemotherapie niet alleen kanker cellen doodt, maar ook alle gezonde cellen, inclusief de cellen van het immuunsysteem, die juist nodig zijn om kanker te bestrijden.

In deze serie onderzoeken hebben wij huidkankercellen (melanoom) blootgesteld aan toenemende hoeveelheden microvoedingsstoffen. Wij pasten dezelfde markers toe als in de vorige onderzoeken: groen voor levende cellen, geel voor cellen voor met beginnende apoptose en rood voor gevorderde apoptose, waarbij de meeste kankercellen al dood zijn.

Bij dit onderzoek werd gekeken naar de verschillende concentraties van microvoedingsstoffen waren blootgesteld (bovenste helft van de volgende bladzijde) en hebben de percentages berekend en deze samengevat in een grafiek met de respectievelijke kleuren (onderste helft van de bladzijde).

De resultaten laten zien dat naarmate de concentratie van microvoedingsstoffen hoger is, des te meer kankercellen een natuurlijke dood sterven. Bij de hoogste concentratie (groep C) werd geconstateerd dat alle kankercellen zich in een vergaande staat van apoptose bevonden, dat wil zeggen zo goed als dood waren. Microvoedingsstoffen zijn daarom niet alleen een veilige manier om de verdere ontwikkeling van kanker tegen te gaan, maar ook om de reeds bestaande tumoren aan te pakken en terug te dringen.

158
Hoofdstuk 3 - Wetenschappelijke feiten, die deze doorbraak onomkeerbaar maken 159 Hoe hoger de concentratie van microvoedingsstoffen, des te meer plegen kankercellen zelfmoord. Lees de volledige onder zoeksresultaten op http://www drrathr esearch org A. Contr ole C. 1000 Microvoedingstoffenconcentratie in mcg/ml P e r c e n t a g e c e l l e n p e r g r o e p 100% van de cellen sterven op natuurlijke wijze B. 500 Levende cellen Dode cellen (late apoptose) Stervende cellen (vroege apoptose) A Controle B 500 m cg/m l C 1000 m cg/m l Microvoedingsstoffe n bre ngen de na tuurlijk e dood van menselijke h uidkankercellen te w eeg Microvoedingss toffen br engen Apoptose in Melanoomcellen teweeg.

De overwinning van lon gkanker

Mijn naam is Wern er Pilniok.

In September 1999 werd tijdens een routine röntgenonderzoek, een snel groeiende longtumor bij mij ontdekt. Volgens de dokter, een longarts, was deze tumor ongeveer 1,5 x 1 cm. groot. Ik moest een reeks vervolgonderzoeken ondergaan, waarna de artsen een ope ratie aanbevolen waarbij men het hele deel van de long waar de tumor zich bevond, zou wegnemen

Omdat ik een hartaandoening had zou een operatie een groot risico voor mij vormen. Daarom ging ik op zoek naar een alternatief. Ik las over de onderzoeken, van Dr. Rath naar de rol van microvoe dingsstoffen bij de natuurlijke bestrijding van kanker.

Ik beslo ot d e ge plande operatie af te zeggen om microvoedings stoffen een kans te geven Vanaf oktob er 1 999 vulde ik mijn dage lijkse voeding aan met grote hoeveelheden microvoedin gsstoffen Op 3 April 2000 werd ter controle een CT scan gemaakt. Het re sultaat: de tumor, die een half jaar eerder was vastgesteld, was ver dwe ne n de do kt er kon h et nie t gel ove n! Hi j v ro eg mij om t e wachten tot er een ander apparaat beschikbaar zou zijn, want hij dacht dat het röntg enappa raa t st uk was. Echter, oo k het nieuw e onderzoek toonde hetzelfde resultaat: er was geen tumor meer.

Dit gebeurde meer da n tien jaar geleden. In 2011 vierde ik mi jn tachtigst e verjaardag in goede gezondheid. Dankzij de microvoe dingsstoffen hoop ik nog vele jaren te leven.

160
De overwinning op kanker! Deel 1: Iets onvoorstelbaars wordt mogelijk

Maak ken nis met Werner Pilniok

A 1

A 2 B

A 1: September 1999, CT-scan van de longen van de heer Pilniok die een tumor toont op de gemarkeerde plek.

A 2: Vergroting van de gemarkeerde plek in A-1.

B: April 2000, controle CT-scan van de longen van de heer Pilniok. Deze afbeelding toont dezelfde plek zien als in A-2. De tumor is niet meer te zien.

Het feit, dat er geen tumor meer te vinden was, toont dat deze verdwenen is door natuurlijke middelen, zonder operatie, bestraling of chemotherapie.

3 - Wetenschappelijke
die
maken 161
Hoofdstuk
feiten,
deze doorbraak onomkeerbaar

Is het u opgevallen dat….

door het lezen van dit hoofdstuk u de wereld van de moderne geneeskunde bent binnengetreden? Het toegankelijk maken van belangrijke informatie over gezondheid voor iedereen, leidt tot een moderne geneeskunde en -zorgstelsel waardoor wij de verantwoordelijkheid voor gezondheid in eigen hand kunnen nemen.

Voordat U verder leest, nodigen wij U uit kennis te maken met ons onderzoeksinstituut in Californië. Onze onderzoekers zetten zich in om een bijdrage te leveren aan het realiseren van ‘gezondheid voor iedereen’ op korte termijn.

162
Een van onze laboratoria De overwinning op kanker! Deel 1: Iets onvoorstelbaars wordt mogelijk

Dr. Waheed Roomi, Hoofd van onze afdeling Kankeronderzoek, tijdens zijn werk.

Dr. Niedzwiecki leidt al meer dan 1 0 jaar het on derzoek in ons instit uut.

De onderzoekers evalueren weten schappelijke projec ten aan een laboratoriumtafel.

163
Hoofdstuk 3 - Wetenschappelijke feiten, die deze doorbraak onomkeerbaar maken

De overwinning op kanker!

Deel 1: Iets onvoorstelbaars wordt mogelijk

Synergie van microvoedingsstoffen: Efficiënter door teamwork!

Mogelijk is de informatie over de veelomvattende mogelijkheden van het toepassen van een synergie van microvoedingstoffen niet bekend bij sommige zorgverleners en lezers van dit boek.

De wetenschappelijke achtergrond van dit verrassende gegeven is eenvoudig: wij hebben de natuurlijke situatie na gebootst! Wij hebben ons onderzoek niet gericht op de werkzaamheid van een enkele stof maar op de positieve werking van een combinatie van micronutriënten die elkaars werking versterken. Wij hebben gebruik gemaakt van het volle potentieel van de natuur om de zelfgenezende kracht van het lichaam te activeren.

In de afgelopen decennia hebben vele wetenschappers onderzoek gedaan naar de mogelijkheid om kanker te beheersen met behulp van microvoedingsstoffen. Men concentreerde zich daarbij meestal op de werkzaamheid van een enkele microvoedingsstof. Dit doodlopend onderzoeksspoor werd een hele tijd gevolgd vanwege de invloed van de zogenaamde toelatingsautoriteiten.

Overal ter wereld hebben autoriteiten lange tijd verboden om onderzoek te doen naar combinaties van microvoedingsstoffen voor preventieve en therapeutische doeleinden. Dit was een gevolg van verkeerde opvattingen. Men ging uit van de negatieve ervaringen met de wisselwerking tussen synthetische- en biologische stoffen. Dit was een onzinnige veronderstelling omdat de wisselwerking tussen zich positief versterkende stoffen een voorwaarde zijn voor het goede verloop van biologische processen en het leven.

De weg die wij in ons onderzoeksinstituut hebben bewandeld was die van dit ‘nieuwe’ gegeven. Op de volgende bladzijden geven wij informatie die de superioriteit bevestigd van de synergie van microvoedingstoffen in vergelijking met die van een enkele stof.

164

Microvoed ingssto ffen synergie de basis van de moderne gezo ndheidszorg

Vitaminen

Mineralen

Biologische plantenstoffen

3
Wetenschappelijke
165
Hoofdstuk
-
feiten, die deze doorbraak onomkeerbaar maken

De overwinning op kanker! Deel 1: Iets onvoorstelbaars wordt mogelijk

Wetenschappelijk Bewijs:

Een synergie van microvoedingstoffen heeft voordelen in vergelijking met een enkele stof bij het belemmeren van het uitzaaien van kanker.

Het voordeel van een combinatie van bepaalde natuurlijke microvoedingstoffen in de strijd tegen kanker werd onderzocht in door middel van verschillende wetenschappelijke testen:

Menselijke bindweefselkankercellen (fibrosarcoom) werden op verschillenden voedingsbodems gekweekt:

1. Een voedingsbodem van groene thee extracten (GTE), rijk aan biologisch actieve verbindingen (polifenolen).

2. Een voedingsbodem van groene thee extracten, zoals bij 1., verrijkt met een bepaalde selectie van microvoedingstoffen (vitamines, mineralen en aminozuren). Op de vorige bladzijden werd al een toelichting gegeven over het belang van een synergie.

Het resultaat van dit onderzoek toonde aan dat zowel een toenemende concentratie van groene thee extracten als een combinatie van bepaalde microvoedingsstoffen de productie van collageenverterende enzymen kankercellen kunnen afremmen. Opvallend is echter dat groene thee extract in combinatie andere micronutriënten het uitzaaien van kankercellen veel effectiever afremt in vergelijking met het effect van toepassing van deze stof alleen.

Dit resultaat beperkt zich niet tot fibrosarcoomcellen. Wij hebben dezelfde werkzaamheid van de deze combinatie vast kunnen stellen bij menselijke lever-, hersen- (glioblastoom) en andere kankersoorten.

166
Hoofdstuk 3 - Wetenschappelijke feiten, die deze doorbraak onomkeerbaar maken 167 Een synergie van microvoedingstoffen die de natuurlijke omstandigheden in biologische processen nabootst, is effectiever bij het afremmen van kanker dan het effect van elke stof afzonderlijk Lees de volledige onderzoekresultaten online op http://www dr rathresearch org/pub/voc/163 1. Groene thee extract (GTE) rijk aan polyfenolen 2. Voedingsstoffensynergie (NS) Samenstelling: Aminozuren Mineralen Vitaminen Groene thee extract *Voor details kijk aan het begin van dit hoofdstuk De remmende werking op de afscheiding van collageverterende enzymen (MMP 9) do or groene thee extract alleen en in combinatie met andere microvoedingstoffen. A Controle C 100 Concentratie van microvoedingstoffen (in mcg/ml) Let op de verschillen tussen de rode en groene kolommen B. 50 D 500 O nderzochte combinatie 1. Groene thee extract (GTE) 2. Voedingss toffensynergie (NS) 1 1 1 2 2 Voordeel van de synergie van microvoedingstoffen bij het belemm eren van de uitzaaing van kankercellen.

De overwinning op kanker! Deel 1: Iets onvoorstelbaars wordt mogelijk

Wetenschappelijk Bewijs:

Een synergie van microvoedingstoffen heeft voordelen in vergelijking met een enkele stof bij het belemmeren van borstkankercellen.

Na het in vitro (kweekjes) bevestigen van de grotere werkzaamheid van een synergie van microvoedingsstoffen op het belemmeren van de uitzaaiing van kankercellen, wilden we onderzoeken of dit ook in vivo (bij levende wezens) het geval was.

Wij gingen ervan uit dat dit inderdaad het geval zou zijn omdat alle biologische functies van het lichaam niet afhangen van een enkele stof, maar van de beschikbaarheid van meerdere op elkaar afgestemde microvoedingsstoffen.

Wij verrichten een onderzoek met drie groepen ratten met borstkanker waarbij wij de tumoren 18 weken lang lieten groeien. Door deze onderzoeksopzet wilden we de situatie van patiënten met borstkanker nabootsen.

Voordat wij met het de behandeling met micronutriënten startten, werd de grootte van de tumoren gemeten. Op de pagina hiernaast ziet u een grafiek van de onderzoeksresultaten.

Groep A. diende als controlegroep, waaraan geen extra microvoedingstoffen werden gegeven. Groep B kreeg extra groene thee extract in de voeding en groep C kreeg naast groene thee extract ook andere extra microvoedingstoffen als aanvulling op de voeding (synergie).

De resultaten van dit in vivo onderzoek toonde aan dat door voedingssupplementen de grootte van de borsttumoren drastisch verminderde.

Opvallend was het betere resultaat bij de groep dieren met die een synergie van microvoedingstoffen als voedingssupplement kregen: tussen 40 en 60 dagen na aanvang van het onderzoek werd de groei van de tumoren tot stilstand gebracht.

168

De remmende werking in vivo van groen thee extract alleen en in combinatie met andere micronutriënten op de groei van borsttumoren.

A. Basisvoeding

B.Aanvulling met groene thee

C. Suppletie met synergie van microvoedingsstoffen.

Start 60

Duur van het onderzoek (aantal dagen)

Gemiddelde grootte van de tumoren in cc (cubieke centimeters)4.0 40

Ook voor levende wezens geldt: een combinatie van bepaalde combinatie microvoedingsstoffen kan de groei van een tumor efficiënter remmen dan een afzonderlijke stof.

Lees meer over de resultaten online op http://www.drrathresearch.org

3 - Wetenschappelijke feiten, die deze doorbraak onomkeerbaar maken 169
Hoofdstuk
Een synergie van microvoedingsstoffen is effectiever dan groene thee alleen, bij het remmen van de groei van borstkanker.

De overwinning op kanker!

Deel 1: Iets onvoorstelbaars wordt mogelijk

Betrouwbaar wetenschappelijk onderzoek!

Let op als u berichten in de media leest over een doorbraak in de strijd tegen kanker. Farmaceutische bedrijven zijn experts het veroorzaken van ophef in de media ten behoeve van een hogere omzet en een hogere beurskoers door de verkoop van medicamenten.

Ons onderzoeksinstituut is onafhankelijk en wordt niet beïnvloed door de farmaceutische industrie en andere financiële belangen van privé-investeerders. Al tientallen jaren wordt ons onderzoek gefinancierd door mensen die wij hebben kunnen helpen met de resultaten van ons gemeenschappelijk onderzoek en de kennis over gezondheid.

Ons onderzoekinstituut is onderdeel van een stichting zonder winstbejag, net zoals alle andere organisaties van de Dr. Rath Groep. Winstbejag is niet het doel van het publiceren van onze informatie en bevindingen. Het enige belang dat voor ons telt is gezondheid voor iedereen. Een betere manier om uw vertrouwen te winnen kan er toch niet zijn?

In de loop der jaren is ons onderzoek tot de meest toonaangevende gaan behoren op het gebied van wetenschappelijke bevestiging van natuurlijke geneeswijzen. De onderzoekresultaten werden in de internationale vakliteratuur gepubliceerd en wereldwijd op wetenschappelijke congressen gepresenteerd. Alle onderzoekresultaten kunt u vinden op de website van ons onderzoeksinstituut: www.drrathresearch.org

170

Op bewijs gebaseerde natuurlijke gezondheid

Onafhankelijke bibliotheek over voeding en natuurlijke gezondheid

Bibliotheek

De onafhankelijke bibliotheek over voeding en natuurlijke gezondheid, is een innovatieve online bron van wetenschappelijk onderbouwde informatie over natuurlijke gezondheid. Het omvat een uitgebreide selectie van wetenschappelijke studies op het gebied van voeding en preventieve gezondheidszorg, met name op het gebied van micronutriëntenonderzoek.

Bezoek onze website:

Hoofdstuk 3 - Wetenschappelijke feiten, die deze doorbraak onomkeerbaar maken 171
www.healthlibrary.info

Samenvatting van dit hoofdstuk

Met behulp van de volgende stellingen kunt u nagaan wat u heeft geleerd en of u alle informatie goed hebt begrepen.

U weet nu dat:

Alle kankersoorten gebruik maken van hetzelfde mechanisme om zich te verspreiden.

Microvoedingstoffen alle belangrijke processen die een rol spelen bij het ontstaan van kanker onder controle kunnen houden.

Een synergie van microvoedingsstoffen effectiever is dan het effect van een enkele stof.

Microvoedingstoffen de mogelijkheid bieden om kanker op natuurlijke wijze te bestrijden.

De werking van microvoedingsstoffen berust op regulering van de celfuncties – dit in tegenstelling tot chemotherapie die zich richt op de vergiftiging van de cellen.

Het huidige inzicht over de oorzaak van kanker en de controle over het ziekteproces, kan leiden tot het grotendeels verdwijnen van deze aandoening.

172
De overwinning op kanker! Deel 1: Iets onvoorstelbaars wordt mogelijk

Verstrekkende mogelijkheden voor de wereldwijde zorgverlening

De wetenschappelijke inzichten die in dit hoofdstuk zijn toegelicht, hebben een directe consequentie voor patiënten, zorgverleners, politici en alle lezers van dit boek.

Door middel van de volgende stellingen willen wij een openlijke discussie op gang brengen die zal leiden tot het beëindigen van de kankerepidemie.

1. De wetenschappelijke grond voor de natuurlijke beheersing van kanker, die in dit boek wordt beschreven, levert een beslissende bijdrage aan het beëindigen van de kankerepidemie.

2. De toepassing van de in dit boek beschreven inzichten zal bijdragen aan het elimineren van kanker als een bedreigende ziekte die epidemische vormen heeft aan-genomen.

3.De toepassing van deze kennis in de geneeskunde en de gezondheidspolitiek is een voorwaarde voor het besparen van miljarden aan kosten voor de gezondheidszorg en ons zorgstelsel bevrijden van de wurgende afhankelijkheid van de farmaceutische multinationals.

173
Hoofdstuk 3 - Wetenschappelijke feiten, die deze doorbraak onomkeerbaar maken

Wist u dat...

U door het lezen van dit boek beschikt over informatie die momenteel nog aan geen enkele medische faculteit ter wereld wordt geleerd.

Op de bladzijde hiernaast staan de drie van de meest toonaangevende onderzoeksinstituten ter wereld: Harvard Medical School, Sloan kettering Center en Stanford University.

Tot op heden leren hier de toekomstige artsen, niets over het essentiële feit dat de agressiviteit van kanker berust op het misbruiken van natuurlijke processen in de celdeling.

Hele generaties van nieuwe artsen leren op de medische faculteiten overal ter wereld, niets over hoe het misbruiken van normale cellulaire mechanismen, de reden is waarom kanker zo gemakkelijk ontkomt aan het afweermechanisme van ons lichaam en waarom kanker zo agressief is.

Door het publiceren van dit boek stellen wij deze levensreddende informatie tevens beschikbaar aan alle professionele zorgverleners. Nog belangrijker is echter de ondubbelzinnige boodschap van dit boek aan miljoenen mensen die niet medisch opgeleid, die hierdoor de mogelijkheid om te kanker te overwinnen in eigen hand krijgen.

Kunt u zich dat voorstellen?

174
De overwinning op kanker! Deel 1: Iets onvoorstelbaars wordt mogelijk

Sloan Kettering Center, New York

Harvard Medical School, Cambridge, MA

Stanford University Palo Alto

175
Hoofdstuk 3 - Wetenschappelijke feiten, die deze doorbraak onomkeerbaar maken

Bijlage Belangrijke documentatie

Dankbetuiging

Onze dank gaat uit naar het onderzoekteam dat met vindingrijkheid en volharding heeft bijgedragen aan de bevestiging van deze medische doorbraak. Op de eerste plaats zijn wij dank verschuldigd aan afdelingshoofd Dr. Waheed Roomi, die al meer dan 10 jaar lang deze afdeling kankeronderzoek heeft geleid. Hij heeft toezicht gehouden op het onderzoek en heeft bijgedragen aan het uitvoeren van belangrijke tests. Wij danken ook Dr. Shirang Netke, Dr. Vadim Ivanov, Dr. Raxit Jariwalla, Nusrath Roomi en Tatiana Kalinovsky voor hun bijdragen aan dit baanbrekend onderzoek.

Onze dank gaat verder uit naar Verena Skaupy en Mirjam Holtrop voor de medewerking aan de vertaling in de Duitse taal; Thomas Wenn en zijn team voor de Duitstalige uitgave van dit boek evenals aan Anke Wartenberg voor het correctielezen; Henk Jelgerhuis, Anton van Walstijn en Mirjam Teerling voor hun bijdragen aan de vertaling en het redigeren in het Nederlands;

Dankbaar zijn wij eveneens voor de organisatorische hulp van Betsy Long, Earle Hall, Christian Kammler, Thomas Wenn en Paul Anthony Taylor.

Wij bedanken ook alle leden van ons internationale juridische team, die ons meer dan 10 jaar hebben bijgestaan om deze baanbrekende ontdekkingen te beschermen tegen alle juridische aanvallen van de lobby van de farmaceutische industrie.

Onze dank gaat uit naar Werner Pilniok, Barbara Saliger en alle andere patiënten, die de moed hebben opgebracht om in het openbaar hun verhaal te vertellen.

De
178
overwinning op kanker! Deel 1: Iets onvoorstelbaars wordt mogelijk

Wij willen ook even stil staan bij die patiënten, jong en oud, die er niet in slaagden om de ziekte te bestrijden en die, in de houdgreep van de conventionele medische behandelingen, geen kans hebben gehad om deze informatie te benutten.

Wij zijn August Kowalczyk, Jerzy Ulatowski en andere overlevenden van Auschwitz buitengewoon erkentelijk. Zij zijn een blijvende inspiratiebron voor ons en voor ons werk. Wij zijn met hen verenigd in betrokkenheid: ‘Nooit meer!’

De grafische bijdragen van August Kowalczyk, “Wetenschap als kunst” die u aantreft in de eerste hoofdstukken, brengen onze gemeenschappelijke boodschap tot uitdrukking: Wereldwijde commerciële belangen laten winst prevaleren boven de bescherming van mensenlevens – toen precies zo als nu.

Speciale dank gaat uit naar de duizenden leden van onze Internationale Health Alliance, die ons onderzoek meer dan 10 jaren lang hebben ondersteund. Zonder u was deze doorbraak niet mogelijk geweest.

Wij bedanken onze familieleden voor hun ondersteuning en geduld.

Wij bedanken ook Andy en Jamie Kerr voor het beschikbaar stellen van een inspirerende omgeving voor het schrijven van dit boek.

Ten slotte gaat onze dank uit naar al diegenen, die door hun scepticisme en tegenwerking door de jaren heen een onschatbare inspiratiebron waren voor onze motivatie.

Bijlage - Belangrijke documentatie 179

Hier volgt een samenvatting in het Engels van de wetenschappelijke publicatie uit 1992 waarin de basisbegrippen voor ons onderzoek naar kanker werden vastgelegd. Deze publicatie werd geschreven door Dr. Rath en ondersteund door de Nobelprijswinnaar Linus Pauling.

Plasmin Induced Proteolysis and the Role of Apoprotein(a), Lysine, and Syntheti c Lysine Anal ogs

Journal of Orthomolecular Medicine 1992, 7: 17-23

Summary

Most human diseases, independent of their individual genetic or exoge nous origin, proliferate via similar pathomechanisms One of these univer sal pathways is propagated by oxygen free radicals. Here we present another universal pathomechanism: the degradation of the connective tis sue by the protease plasmin. This mechanism had been described for some diseases but its universal character has still been insufficiently understood. We propose now that the proliferation of cancer, cardiovascular disease (CVD), and also inflammatory and many other diseases depends to a vary ing degree on this pathomechanism. Activated macrophages, but also can cer cells, virally transformed cells, and other pathogenic cells secrete con siderable amounts of plasminogen activators, which lead to an activation of plasminogen to the protease plasmin which activates procollagenase to collagenase. The resulting degradation of the extracellular matrix is a pre condition for the proliferation and the clinical manifestation of any dis ease. Most acute and chronic diseases make use of this pathomechanism. This pathomechanism is the exacerbation of a mechanism used under physiological conditions by a variety of cellular systems of the human body. The exacerbation under pathological conditions is the result of a chronic imbalance between activators and inhibitors of this pathway Apoprotein(a), apo(a), by virtue of its homology to plasminogen is pro posed to be a competitive endogenous inhibitor of plasmin induced prote olysis and tissue degradation. The essential amino acid L lysine functions as an exogenous inhibitor of this pathway. Therapeutic administration of L lysine and synthetic lysine analogs, such as tranexamic acid, should lead to an effective control of plasmin induced tissue degradation Compre hensive clinical confirmation of this work will particularly improve the therapeutic options for advanced forms of CVD, cancer, and inflammatory and infectious diseases, including AIDS

De overwinning op kanker! Deel 1: Iets onvoorstelbaars wordt mogelijk 180

Introduction

In recent years the international research community became fascinated by a unique protein in the human body: apoprotein(a) [apo(a)]. In the three decades since its discovery apo(a) has been primarily discussed in relation to its deleterious effects on human health, in particular on cardiovascular disease (CVD). We did not accept that apo(a) should have only disadvantageous properties. According to the laws of evolution apo(a) must have beneficial properties that by far outreach its disadvantages. Consequently, we discovered that under physiological conditions apo(a) functions as an adhesive protein, mediating organ differentiation and growth. Under pathophysiological conditions apo(a) primarily substitutes for ascorbate deficiency and increases tissue stability by compensating for impaired collagen metabolism, and by promoting tissue repair (1). Moreover, we proposed that apo(a) functions as an inhibitor of important pathomechanisms involved in the proliferation of many diseases. These pathomechanisms are favored during ascorbate deficiency. One of these universal pathomechanisms is the damaging effect of oxygen free radicals, which is attenuated by the antioxidative function of apo(a) as a proteinthiol (2).

Apo(a) also led us to determine the universal importance of another pathomechanism: the enzymatic degradation of the connective tissue by the protease plasmin. We recently proposed that apo(a), by virtue of its homology to plasminogen, functions as a competitive inhibitor of plasmin- induced proteolysis (3). In this publication we describe the universal character of this mechanism and the role of apo(a) in more detail. Plasmin-induced proteolysis had been described as a pathomechanism for some diseases, e.g. cancer and certain viral diseases (4,5). In cardiovascular disease, however, this mechanism has received little, if any, attention. The insufficient understanding of the universal character of this pathomechanism is further underlined by the absence of a broad therapeutic use of L-lysine and its synthetic analogs, which are exogenous inhibitors of this pathway. The lack of this knowledge continues to have detrimental consequences for human health and it prevents millions of patients from receiving optimum treatment. It is the aim of this publication to close this gap and to provide the rationale for a broad introduction of lysine and its synthetic analogs into clinical therapy.

Bijlage - Belangrijke documentatie 181

Plasmin Induced Proteolysis Under Physiological Conditions

Plasmin-induced proteolysis is a physiological mechanism that occurs ubiquitously in the human body. The main cellular defense systems, monocytes, macrophages, and neutrophiles, use this mechanism for their migration through the body compartments. They secrete plasminogen activators, which then activate plasminogen to plasmin. This mechanism makes efficient use of high blood and tissue concentrations of the proenzyme, plasminogen, which represents a huge reservoir of potential proteolytic activity. The activated protease plasmin then converts procollagenases into collagenases (6), and quite possibly also activates other enzymes, leading to a local degradation of the connective tissue. This local degradation of the connective tissue paves the way for the migration of macrophages through the body. The proteolytic effect of plasmin is also involved in increasing vascular permeability (7). This effect facilitates the infiltration of monocytes and other blood cells from the circulation to the tissue sites of increased requirement. Physiological conditions in which plasmin-induced proteolysis occurs include different forms of tissue formation and reorganization such as neurogenesis, vascularization, and, quite probably, growth.

Of particular importance is plasmin-induced proteolysis during the remodulation of female reproductive organs. Under hormonal stimulation mammary and uterine cells secrete plasminogen activator and thereby initiate the morphologic changes of the organ during pregnancy and lactation (4). A particularly striking example for the effectiveness of this mechanism is ovulation. Luteinizing hormone (LH) and follicle cell stimulating hormone (FSH) stimulate the secretion of plasminogen activators from granulosa cells (8). The subsequent degradation of the ovarian connective tissue is a precondition for ovulation (Figure 1a). Similarly trophoblast cells use plasmin-induced proteolysis to invade the wall of the uterus during embryo implantation in early pregnancy. In all these conditions enzyme production is transient and is precisely regulated by hormones and other control mechanisms.

Plasmin Induced Proteolysis Under Physiological Conditions

Plasmin-induced tissue degradation contributes to the proliferation of most diseases. Of particular interest is the fact that similar mechanisms are induced by attacking pathogens as they are used by the defending host

De overwinning op kanker! Deel 1: Iets onvoorstelbaars wordt mogelijk 182

cells, e.g. macrophages. In many pathological conditions macrophages become 'activated'. This activation reflects a particular state of alert that is characterized by an abundant release of secretory products. These products include oxygen metabolites, collagenases, elastases, and a significantly increased secretion of plasminogen activators. It is immediately obvious that this mechanism needs to be precisely controlled. Therefore macrophages also secrete inhibitory products including plasmin inhibitors and a2-macroglobulin which are able to inactivate plasmin and many other proteases. Any imbalance in this control system leads to an exacerbation of this mechanism and to continued tissue degradation. Chronic activation of macrophages and an exertion of the control mechanisms eventually lead to a sustained degradation of the connective tissue and to an accelerated proliferation of the disease. It is, therefore, not unreasonable for us to propose that plasmin-induced tissue degradation contributes, to a varying degree, to the proliferation of all diseases.

This mechanism is, however, not limited to macrophages and other defense cells of the human body. In the following sections we shall discuss this pathomechanism for the most important diseases in more detail.

Cancer

Malignant transformation of many cells of the human body leads to an uncontrolled secretion of plasminogen activators. In this situation the secretion of plasminogen activators is not a temporary event, but is rather a characteristic feature of malignant cells. The magnitude of increase in plasminogen- activator production, between 10 and 100 fold, renders this enzyme unique among the biochemical changes associated with oncogenic transformation. Moreover, plasminogen-activator secretion occurs independently of the induction mechanism and can be found as the result of oncogenic viruses or chemical carcinogens. Most importantly, the amount of plasminogen activators secreted was, in general, associated with the degree of malignancy (4,5). Immunohistological studies showed that the concentration of plasminogen activators in the vicinity of a tumor is highest at the sites of its invasive growth (9).

Because of the prominent role of plasmin-induced proteolysis in female reproductive organs under physiological conditions it is no surprise that the exacerbation of this mechanism is particularly frequent in malignancies of the female reproductive organs. Cancer cells of the breast, the uterus, the ovaries, and other organs continuously secrete increased

Bijlage - Belangrijke documentatie 183

De overwinning op kanker! Deel 1: Iets onvoorstelbaars wordt mogelijk

amounts of plasminogen activators, destroy the surrounding extracellular matrix, and thereby pave the way for infiltrative growth. These mechanisms are also involved in the proliferation of prostatic cancer, one of the most frequent forms of cancer in males.

Plasmin-induced proteolysis is also critical for the metastatic spread of cancer. As discussed above, plasmin induces increased permeability of the blood vessels and thereby facilitates the systemic dissemination of tumor cells. This pathomechanism is, of course, not limited to reproductive organs. Plasmin-induced tissue degradation has been reported for tumors of the ovaries, endometrium, cervix, breast, colon, lung, skin (melanoma, and many others (4), suggesting that most cancers make use of this mechanism for their proliferation.

Infectious and inflammatory diseases.

As for transformed cells in malignancies, virally transformed cells were also found to secrete plasminogen activators (4,5). These cells activate plasminogen in their vicinity, e.g., the lung tissue, and thereby facilitate the local spread of the infection. Simultaneously, plasmin increases the permeability of the local blood vessels and thereby promotes the systemic spread of the infection.

It is not unreasonable for us to propose that other pathogens may also make use of this mechanism during the process of infection. Plasminogen activators play an important role during inflammation in general. Production of plasminogen activators by macrophages and granulocytes is closely correlated to different modulators of inflammation. Secretion of the enzyme is stimulated by asbestos, lymphokines, and interferon and is inhibited by antiinflammatory agents such as glucocorticoids. Plasmininduced proteolysis has been described for patients with a variety of inflammatory diseases, including chronic rheumatoid arthritis, allergic vasculitis, chronic inflamatory bowel disease, chronic sinusitis, demyelinating disease, and many others (4). Plasmin-induced tissue degradation is therefore likely to be an important pathomechanism in chronic inflammatory diseases.

Cardiovascular disease.

Activated macrophages play an important role in the pathogenesis of car184

diovascular disease. Blood monocytes enter the vascular wall, where they become macrophages. Their activation inside the vascular wall is enhanced by oxidatively modified lipoproteins and other challenging mechanisms (3,10). Once they are activated a similar cascade of events occurs, as in any other disease: increased secretion of plasminogen activators, activation of procollagenases by the protease plasmin, and degradation of the connective tissue in the vascular wall. Simultaneously, plasmin increases the permeability of the vascular wall, leading to a further increase in the infiltration of plasma constituents. The perpetuation of these pathomechanisms leads to the development of atherosclerotic lesions. This mechanism is particularly effective when the vascular wall is already destabilized by a deficiency in ascorbate. As described recently in detail (3), this instability is primarily unmasked at sites of altered hemodynamic conditions, such as the branching regions of the coronary arteries. It is therefore no surprise that increased amounts of plasminogen activators were detected in these branching regions of human arteries. Moreover, atherosclerotic lesions in general were found to contain significantly higher amounts of plasminogen activators than grossly normal arterial wall (11). It is a remarkable fact that these early observations have not been followed up systematically. This negligence suggests that the universal character of uncontrolled plasmin-induced proteolysis for disease proliferation has not yet been fully understood. It is the aim of this paper to close this gap.

Apoprotein(a) An Inhibitor of Plasmin Induced Proteolysis

In identifying the universal importance of plasmin-induced proteolysis for most diseases we were once again guided by apo(a) and its increased demand as reflected by the elevated plasma concentrations in many pathological conditions. As discussed above, apo(a) exerts a multitude of functions under physiological and pathophysiological conditions. Here we focus on the role of apo(a) as an endogenous competitive inhibitor of plasmin-induced proteolysis and tissue degradation.

Apo(a) is a glycoprotein with a unique structure. It is essentially composed of a repetitive sequence of the kringle structures highly homologous to the kringle IV of the plasminogen molecule. The gene for apo(a) is located in the direct vicinity of the plasminogen gene on chromosome 6. It has been proposed that the apo(a) molecule derives from the plasminogen molecule or that the two genes share a common ancestral gene (12). As of today no explanation has been offered as to why among all five kringles of plasminogen it is almost exclusively kringle IV that was chosen by nature

Bijlage - Belangrijke documentatie 185

to compose the apo(a) molecule.We do not accept this selective advantage of kringle IV as a coincidence. We propose that at least one of the reasons for the repetition of kringle IV in apo(a) is closely related to the structure/function of kringle IV in the plasminogen molecule.

It is not unreasonable for us to propose that apo(a), by virtue of its multiple kringle IV structures, is a competitive inhibitor of plasmin-induced proteolysis. Apo(a) could be involved in the control of this pathway without interfering with critical functions of plasminogen mediated by other kringles of the plasminogen molecule. Consequently, the more kringle IV repeats one apo(a) molecule contains, the more effective this apo(a) isoform would be as an inhibitor. This concept could not only explain the selective advantage of kringle IV versus the other kringle structures, but it could also explain the great variation in genetically determined plasma Lp(a) concentrations, which largely reflect the inverse relation between the number of intramolecular kringle IV repeats and the synthesis rate of apo(a) molecules.

Supportive evidence for a role of apo(a) in the control of plasmin- induced proteolysis is also provided by a number of observations. Apo(a) has been shown to attenuate tissue-plasminogen-activator-induced fibrinolysis and competitively interfere with plasminogen- and plasmin- induced pathways (review in 14). Moreover, immunohistological studies in various diseases showed a preferential deposition of apo(a) at the site of increased demand for a control of plasmininduced proteolysis. In several hundred vascular specimens representing various degrees of cardiovascular disease apo(a) was found primarily to be located in the subendothelium, quite possibly counteracting the increased endothelial permeability. In advanced atherosclerotic lesions apo(a) was preferentially found around the lesion core, particularly at the edges of the lesion (15), the main sites of chronic repair processes. In a comprehensive morphological study in different forms of cancer apo(a) was found to be deposited in the vicinity of the cancer process (Dr. A. Niendorf, personal communication). Both studies were conducted with the same monoclonal antibodies not cross-reacting with plasminogen. A preliminary report is also available for the deposition of apo(a) in the microvasculature of inflammatory processes (16). We predict that apo(a) will also be found to play an important role in the containment of infectious diseases, including AIDS. The role of apo(a) as a competitive inhibitor of plasmininduced proteolysis is not limited to pathological conditions. An increased demand of apo(a) was also observed during the period of uterus transformation in early pregnancy (17).

De overwinning op kanker! Deel 1: Iets onvoorstelbaars wordt mogelijk 186

In summary, apo(a) is suggested to be an important element in the endogenous control system of plasmin-induced proteolysis. Apo(a) may back-up antiplasmin and other endogenous inhibitors of this pathway particularly during chronic activation of this mechanism. Beside endogenous inhibitors of plasmin-induced tissue degradation there are also exogenous inhibitors. The universal importance of the pathomechanism described here immediately suggests the great value of these exogenous inhibitors in the therapy of many diseases.

The Therapeutic Use of Lysine and Synthetic Lysine Analogs

Lysine, an essential amino acid, is the most important naturally- occurring inhibitor of this pathway. As opposed to the competitive inhibition by apo(a), lysine inhibits plasmin-induced proteolysis in a direct way. Lysine attenuates an overshooting activation of plasmin, at least in part, by occupying the lysine binding sites in the plasminogen molecule. Since lysine is an essential amino acid, its availability is not regulated endogenously. Insufficient dietary lysine intake invariably leads to a deficiency of this amino acid and thereby weakens the natural defense against this pathomechanism. Moreover, chronic activation of plasminogen by cancer cells, virally transformed cells, or macrophages leads to an additional relative lysine deficiency and thereby to an acceleration of the underlying disease. The therapeutic value of lysine has been documented for a variety of diseases, including viral diseases (18), and recently in combination with ascorbate for cardiovascular disease (19).

Synthetic lysine analogs such as epsilon-aminocaproic acid, paraamino methylbenzoic acid and trans-aminocyclohexanoic acid (tranexamic acid) are potent inhibitors of plasmin-induced proteolysis. These substances, in particular tranexamic acid, have been successfully used in the treatment of a variety of pathological conditions, such as angiohematoma, colitis ulcerosa, and others. Most remarkable results were reported from the treatment of patients with late-stage cancer of the breast (20) and the ovaries (21) and also for cancer of other origins (22). We have recently suggested the therapeutic use of synthetic lysine analogs for the reduction of atherosclerotic plaques (3).

On the basis of the work presented here, comprehensive clinical studies

Bijlage - Belangrijke documentatie 187

should be initiated to establish the critical role of lysine in the prevention and treatment of various diseases without delay. A daily intake of 5 grams of lysine and more (19,23) has been described to be without side effects. On the basis of the encouraging therapeutic results with tranexamic acid, particularly in inhibiting and reducing late-stage cancer, these substances should now be extensively tested for a broad introduction into clinical therapy, particularly for advanced forms of cancer, CVD, and AIDS. A possible explanation of why this has not happened long ago may be the argument that these substances may induce coagulative complications. They are, however, protease inhibitors and inhibit not only fibrinolysis but also coagulation (24). Moreover, tranexamic acid has been given for more than 10 years without clinical complications (25). We have proposed that the risk of any hemostatic complication will be further reduced by a combination of these compounds with ascorbate and other vitamins with anticoagulative properties (3). This medical consideration is, however, not the only factor why these compounds are not used much more frequently and why thousands of patients are still deprived of optimum therapy. There is also an economic factor. Patent protection is a guiding principle of any pharmaceutical company in developing or marketing a drug. Lysine, like many other nutrients, is not patentable and the patents for the clinically approved synthetic lysine analogs, including tranexamic acid, have expired. The negligence of these substances may be explainable from the economic point of view; from the perspective of human health there is no justification for this delay.

Conclusion

Here we have described plasmin-induced proteolysis as a universal pathomechanism propagating cancer, and cardiovascular, inflammatory, and many other diseases. Plasmin-induced tissue degradation under pathological conditions is an exacerbation of a physiological mechanism. Apo(a) is suggested to function as a competitive endogenous inhibitor of this pathway. On the basis of the selective advantage of apo(a) in the evolution of man it comes as no surprise that apo(a) should lead us on the way to recognize the universal importance of this pathomechanisms. Further clinical confirmation of the therapeutic value of lysine and its synthetic analogs may provide new options for an effective therapy for millions of people. We predict that the use of lysine and synthetic lysine analogs, particularly in combination with ascorbate, will lead to a breakthrough in the control of many forms of cancer and infectious diseases, including AIDS, as well as many other diseases.

De overwinning op kanker! Deel 1: Iets onvoorstelbaars wordt mogelijk 188

Acknowledgements

We thank Dr. Alexandra Niedzwiecki for helpful discussions, Rosemary Babcock for library services, Jolanta Walechiewicz for graphical assistance, Martha Best and Dorothy Munro for secretarial help.

Bijlage - Belangrijke documentatie 189

De overwinning op kanker! Deel 1: Iets onvoorstelbaars wordt mogelijk

190

Literatuuropgave:

1.Rath M, Pauling L. Apoprotein(a) is an adhesive protein. J. Orthomolecular Med.1991;6:139-143.

2. Rath M, Pauling L. Hypothesis: Lipoprotein(a) is a surrogate for ascorbate. Proc.Natl.Acad.Sci.USA 1990; 87:6204-6207.

3. Rath M, Pauling L. Solution of the puzzle of human cardiovascular disease: Its primary cause is ascorbate deficiency, leading to the deposition of lipoprotein(a) and fibrinogen/fibrin in the vascular wall. J. Orthomolecular Med.1991;6:125-134.

4. Danø K, Andreasen PA, Grøndahl-Hansen J, Kristensen P, Nielsen LS and Skriver L: Plasminogen activators, tissue degradation, and cancer. Advances in Cancer Research 1985; Vol 44, Academic Press.

5. Reich E: Activation of plasminogen: a general mechanism for producing localized extracellular proteolysis. Molecular Basis of Biological Degradative Processes. Berlin RD, Herrmann H, Lepow TH, Tanzov T (eds), 1978, Academic Press Inc.,New York.

6. Werb Z, Mainardi CL, Vater CA, and Harris Jr ED: Endogenous activation of latent collagenase by rheumatoid synovial cells. N.Engl.J.Med.1977 #18; 296:

7. Ratnoff OD. Increased vascular permeability induced by human plasmin. In: Vascular Permeability and Plasmin. 1965.

8. Strickland S & Beers WH. Studies on the role of plasminogen activator in ovulation. J.Biol.Chem.1976; 251:5694-5702.

9. Skriver L, Larsson L-I, Kielberg V, Nielsen LS, Andresen PB, Kristensen P, & Danø K. Immunocytochemical localization of urokinase-type plasminogen activator in Lewis lung carcinoma. J.Cell Biol. 1984; 99:752-757.

10. Steinberg D, Parthasarathy S, Carew TE, & Witztum JL. Beyond cholesterol. Modifications of low-density lipoprotein that increase its atherogenicity. N. Engl. J. Med. 1989; 320:915-924.

11. Smokovitis A: A new hypothesis: possible mechanisms in the involvement of the increased plasminogen activator activity in branching regions of the aorta in the initiation of atherosclerosis. Thromb-Haemost. 1980; 43(2):141-148.

12. McLean JW, Tomlinson JE, Kuang W-J, Eaton DL, Chen EY, Fless GM, Scanu AM, and Lawn RM. cDNA sequence of human apolipoprotein(a) is homologous to plasminogen. Nature 1987;330:132-137.

13. Trexler M, Vali Z. & Patthy L. Structure of the w-aminocarboxylic acid-binding sites of human plasminogen. J.Biol.Chem. 1982; 257:7401-7406.

14.Edelberg JM, Pizzo SV: Lipoprotein(a): The link between impaired fibrinolysis and atherosclerosis. Fibrinolysis 1991;5:135-143.

15.Niendorf A, Rath M, Wolf K, Peters S, Arps H, Beisiegel U and Dietel M: Morphological detection and quantification of lipoprotein(a) deposition in atheromatous lesions of human aorta and coronary arteries. Virchow's Archiv A Pathol. Anat. 1990;417:105-111.

16. Etingin OR, Hajjar DP, Hajjar KA, Harpel PC & Nachman RL. Lipoprotein(a) regulates plasminogen activator inhibitor-1 expression in endothelial cells. J.Biol.Chem.1991; 266:2459-2465.

Bijlage - Belangrijke documentatie 191

17. Zechner R, Desoye G, Schweditsch MO, Pfeiffer KP & Kostner GM. Fluctuations of plasma lipoprotein-a concentrations during pregnancy and post partum. Metabolism 1986; 35:333-336.

18. Griffith RS, Walsh DE, Myrmel KH, Thompson RW, Behforooz A. Success of Llysine therapy in frequently recurrent herpes simplex infection. Dermatologica 1987; 130:183-190.

19. Pauling L. Case report: Lysine/ascorbate-related amelioration of angina pectoris. J. Orthomolecular Med.1991;6:144-146.

20. Astedt B, Mattsson W, TropŽ C. Treatment of advanced breast cancer with chemotherapeutics and inhibition of coagulation and fibrinolysis. Acta Med. Scand. 1977;201:491-493.

21. Astedt B, Glifberg I, Mattsson W, Tropé C. Arrest of growth of ovarian tumor by tranexamic acid. JAMA 1977; 238:154.

22. Markus G. The role of hemostasis and fibrinolysis in the metastatic spread of cancer. Seminars in Thrombosis and Hemostasis 1984: 10;61-70.

23. Rose WC, Johnson JE & Haines W. The amino acid requirement of man. J Biol Chem 1950;182:541-556.

24. Aoki N, Naito K, & Yoshida N. Inhibition of platelet aggregation by protease inhibitors. Possible involvement of proteases in platelet aggregation. Blood 1978; 52:1-12.

25. Munch EP & Weeke B. Non-hereditary angioedema treated with tranexamic acid. Allergy 1985; 40: 92-97.

192
De overwinning op kanker! Deel 1: Iets onvoorstelbaars wordt mogelijk

Afbeelding van de o orspronkelijke publicatie uit 1992.

Bijlage - Belangrijke documentatie 193

DOOR ONS GEPUBLICEERD

PROSTAATKANKER

In Vivo Antitumor Effect of Ascorbic Acid, Lysine, Proline and Green Tea Extract on Human Prostate PC-3 Xenografts in Nude Mice: Evaluation of Tumor Growth and Immunohistochemistry. M.W. Roomi, V. Ivanov, T. Kalinovsky, A. Niedzwiecki, M. Rath. InVivo , 2005, 19(1), 179-184.

Antitumor Effect of Ascorbic Acid, Lysine, Proline, Arginine and Epigallocatechin Gallate in Prostate Cancer Cell Lines PC-3, NCaP, and DU145. M.W. Roomi, V. Ivanov, T. Kalinovsky, A. Niedzwiecki, M. Rath Research Communications in Molecular Pathology and Pharmacology, 2004, 115:1-6

TEELBALKANKER

Inhibitory Effects of a Nutrient Mixture on Human Testicular Cancer cell Line NT 2/DT Matrigel Invasion and MMP Activity. M.W. Roomi, V. Ivanov, T. Kalinovsky, A. Niedzwiecki, M. Rath. Medical Oncology 2007 24(2): 183-188

BORST KANKER

In Vitro and In Vivo Antitumorigenic Activity of a Mixture of Lysine, Proline, Ascorbic Acid and Green Tea Extract on Human Breast Cancer Lines MDA MB-231 and MCF-7. M.W. Roomi, V. Ivanov, T. Kalinovsky, A. Niedzwiecki, M. Rath Medical Oncology 2005, 22(2) 129-38

Modulation of N-Methyl –N-Nitrosourea-Induced Mammary Tumors in SpragueDawley Rats by Combination of Lysine, Proline, Arginine, Ascorbic Acid and Green Tea Extract. M.W. Roomi, N.W. Roomi, V. Ivanov, T. Kalinovsky, A. Niedzwiecki, M. Rath. Breast Cancer Research, 2005, 7:R291-R295

A combination of green tea extract, specific nutrient mixture and quercetin: An effective intervention treatment for the regression of N-Methyl –N-Nitrosourea (MNU)-Induced mammary tumors in Wistar rats. Anup Kale, Sonia Gawande, Swati Kotwal, Shrirang Netke, M.W. Roomi, V. Ivanov, A. Niedzwiecki, M. Rath Oncology Letters, 2010, 1:313-317

BAARMO EDERHALSKANKER

Suppression of Human Cervical Cancer Cell Lines Hela and oTc2 4510 MMP Expression and Matrigel Invasion by a Mixture of Lysine, Proline, Ascorbic Acid, and Green Tea Extract. M.W. Roomi, V. Ivanov, T. Kalinovsky, A. Niedzwiecki, M.Rath International Journal of Gynecological Cancer 2006; 16:1241-1247

De
194
overwinning op kanker! Deel 1: Iets onvoorstelbaars wordt mogelijk

EIERSTO KKANKER

In vitro modulation of MMP-2 and MMP-9 in human cervical and ovarian cancer cell lines by cytokines, inducers and inhibitors. M.W. Roomi, J.C. Monterrey, T. Kalinovsky, M. Rath, A. Niedzwiecki. Oncology Reports 2010; 23(3):605-614

Inhibition of MMP-2 Secretion and Invasion by Human Ovarian Cancer Cell Line SKOV-3 with lysine, proline, arginine, ascorbic acid, and Green Tea Extract. M.W. Roomi, V. Ivanov, T. Kalinovsky, A. Niedzwiecki, M. Rath Journal of Obstetrics and Gynaecology Research 2006; 32(2): 148-154

DARMKANKER

In Vivo Antitumor Effect of Ascorbic Acid, Lysine, Proline and Green Tea Extract on Human Colon Cancer Cell HCT 116 Xenografts in Nude Mice: Evaluation of Tumor Growth and Immunohistochemistry. M.W. Roomi, V. Ivanov, T. Kalinovsky, A. Niedzwiecki, M. Rath. Oncology Reports, 2005, 12 (3), 421-425

Synergistic Effect of Combination of Lysine, Proline, Arginine, Ascorbic Acid and Epigallocatechin Gallate on Colon Cancer Cell Line HCT 116. M.W. Roomi, V. Ivanov, T. Kalinovsky, A. Niedzwiecki, M. Rath Journal of the American Nutraceutical Association, 2004, 7 (2): 40-43

BOT KANKER

Naturally Produced Extracellular Matrix Inhibits Growth Rate and Invasiveness of Human Osteosarcoma Cancer Cells. V. Ivanov, S. Ivanova, M.W. Roomi, T. Kalinovsky, A. Niedzwiecki, M. Rath. Medical Oncology 2007; 24(2): 209-217

Effect of Ascorbic Acid, Lysine, Proline and Green Tea Extract on Human Osteosarcoma Cell Line MNNG-HOS Xenografts in Nude Mice: Evaluation of Tumor Growth and Immunohistochemistry. M.W. Roomi, V. Ivanov, T. Kalinovsky, A. Niedzwiecki, M. Rath. Medical Oncology 2006; 23(3 ): 411-417

Antitumor Effect of Nutrient Synergy on Human Osteosarcoma Cells U2OS, MNNGHOS, and Ewing’s Sarcoma SK-ES.1. M.W. Roomi, V. Ivanov, T. Kalinovsky, A. Niedzwiecki, M. Rath. Oncology Reports, 2005, 13(2), 253-257

In Vivo and In Vitro Antitumor Effect of Nutrient Synergy on Human Osteosarcoma Cell Line MNNG-HOS. M.W. Roomi, V. Ivanov, T. Kalinovsky, A. Niedzwiecki, M. Rath. Annals of Cancer Research andTherapy, 2004, 12: 137-148

ALVLEESKLIERKANKER

Antitumor Effect of a Combination of Lysine, Proline, Arginine, Ascorbic Acid, and Green Tea Extract on Pancreatic Cancer Cell Line MIA PaCa-2. M.W. Roomi, V. Ivanov, T. Kalinovsky, A. Niedzwiecki, M. Rath

Bijlage - Belangrijke documentatie 195

De overwinning op kanker!

Deel 1: Iets onvoorstelbaars wordt mogelijk

International Journal of Gastrointestinal Cancer 2005, 35 (2), 97-102 FIBROSARCO OM (BINDWEEFSEL)

In Vivo and in Vitro Antitumor Effect of Ascorbic Acid, Lysine, Proline, Arginine, and Green Tea Extract on Human Fibrosarcoma Cells HT-1080. M.W. Roomi, V. Ivanov, T. Kalinovsky, A. Niedzwiecki, M. Rath Medical Oncology 2006; 23(1): 105-112

Synergistic Antitumor Effect of Ascorbic Acid, Lysine, Proline, and Epigallocatechin Gallate on Human Fibrosarcoma Cells HT-1080. M.W. Roomi, V. Ivanov, T. Kalinovsky, A. Niedzwiecki, M. Rath Annals of Cancer Research andTherapy, 2004 12:148-157

NIER EN BLAASKANKER

Pleiotropic effects of a micronutrient mixture on critical parameters of bladder cancer. M.W. Roomi, T. Kalinovsky, A. Niedzwiecki, M. Rath. In Bladder Cancer: Etymology, Diagnosis andTreatments, edited by William Nilsson, Nova Science Publishers, Inc, 2010.

Antitumor Effect of Ascorbic Acid, Lysine, Proline, Arginine, and Green Tea Extract on Bladder Cancer Cell Line T-24. M.W. Roomi, V. Ivanov, T. Kalinovsky, A. Niedzwiecki, M. Rath. International Journal of Urology 2006; 13: 415-419

Modulation of Human Renal Cell Carcinoma 786-0 MMP-2 and MMP-9 Activity by Inhibitors and Inducers in Vitro. M.W. Roomi, V. Ivanov, T. Kalinovsky, A. Niedzwiecki, M. Rath. Medical Oncology 2006; 23(2): 245-250

Anticancer Effect of Lysine, Proline, Arginine, Ascorbic Acid and Green Tea Extract on Human Renal Adenocarcinoma Line 786-0. M.W. Roomi, V. Ivanov, T. Kalinovsky, A. Niedzwiecki and M. Rath. Oncology Reports 2006; 16(5):943-7

HUID KANKER

Inhibition of 7, 12-Dimethylbenzathracene-Induced Skin tumors by a Nutrient Mixture. M.W. Roomi, N.W. Roomi, T. Kalinovsky, V. Ivanov, M. Rath, A. Niedzwiecki. Medical Oncology 2008; 25(3): 330-340

Suppression of growth and hepatic metastasis of murine B16FO melanoma cells by a novel nutrient mixture. M.W. Roomi, T. Kalinovsky, N.W. Roomi, V. Ivanov, M. Rath, A. Niedzwiecki. Oncology Reports 2008; 20:809-817

In Vitro and In Vivo Antitumor Effect of Ascorbic Acid, Lysine, Proline, And Green Tea Extract On Human Melanoma Cell Line A2058. M.W. Roomi, V. Ivanov, T. Kalinovsky, A. Niedzwiecki, M. Rath. InVivo 2006;20(1): 25-32

196

LON GKANKER

Chemopreventive effect of a novel nutrient mixture on lung tumorigenesis induced by urethane in male A/J mice. M.W. Roomi, N.W. Roomi, V. Ivanov, T. Kalinovsky, A. Niedzwiecki, M. Rath. Tumori 2009; 95: 508-513

Modulation of MMP-2 and MMP-9 by cytokines, mitogens, and inhibitors in lung cancer and mesothelioma cell lines. M.W. Roomi, J.C. Monterrey, T. Kalinovsky, A. Niedzwiecki, M. Rath. Oncology Reports 2009; 22: 1283-1291

Inhibition of Malignant Mesothelioma Cell Matrix Metalloproteinase Production and Invasion by a Novel Nutrient mixture. M.W. Roomi, V. Ivanov, T. Kalinovsky, A. Niedzwiecki and M. Rath. Experimental Lung Research 2006; 32:69-79

In Vivo and in Vitro Anti-tumor Effect of a Unique Nutrient Mixture on Lung Cancer Cell Line A-549. M.W. Roomi, V. Ivanov, T. Kalinovsky, A. Niedzwiecki and M. Rath. Experimental Lung Research 2006; 32:441-453

Inhibition of Pulmonary Metastasis of Melanoma B16FO Cells in C57BL/6 Mice by a Nutrient Mixture Consisting of Ascorbic Acid, Lysine, Proline, Arginine, and Green Tea Extract. M.W. Roomi, V. Ivanov, T. Kalinovsky, A. Niedzwiecki, M. Rath Experimental Lung Research 2006; 32(10):517-30

LEUKEMIE ( BLOEDKANKER)

Antineoplastic effect of nutrient mixture on Raji and Jurkat T cells: the two highly aggressive non-Hodgkin’s lymphoma cell lines. M.W. Roomi, BA Bhanap, N.W. Roomi, A. Niedzwiecki and M. Rath. Experimental Oncology 2009; 31(3): 149-155

Epigallocatechin -3-Gallate induces apoptosis and cell cycle arrest in HTLV-1 positive and negative leukemia cells. S. Harakeh, K. Abu-El-Ardat, M. Diab-Assaf, A. Niedzwiecki, M. El-Sabban, M. Rath. Medical Oncology 2008; 25: 30-39

Ascorbic acid induces apoptosis in Adult T-cell Leukemia. S. Harakeh, M. DiabAssaf, J. Khalife, K. Abu-El-Ardat, E. Baydoun, A. Niedzwiecki, M. El-Sabban, M. Rath. Anticancer Research 2007; 27: 289-298

Mechanistic aspects of apoptosis induction by L-Lysine in both HTLV-1 positive and negative cell lines. S. Harakeh, M. Diab-Assaf, K. Abu-El-Ardat, A. Niedzwiecki, M. Rath. Chem. Biol. Interactions 2006; 164: 102-114

Apoptosis Induction by Epican Forte in HTLV-1 Positive and Negative Malignant TCells. S. Harakeh, M. Diab-Assaf, A. Niedzwiecki, J. Khalife, K. Abu-El-Ardat, M. Rath. Leukemia Research –2006; 30: 869-881

Bijlage - Belangrijke documentatie 197

ANDERE KANKERSOORTEN

Comparative effects of EGCG, green tea and a nutrient mixture on the patterns of MMP-2 and MMP-9 expression in cancer cell lines. M.W. Roomi, J.C. Monterrey, T. Kalinovsky, A. Niedzwiecki, M. Rath. Oncology Reports – 2010; 24:747-757

Inhibition of invasion and MMPs by a nutrient mixture in human cancer cell lines: a correlation study. M.W. Roomi, J.C. Monterrey, T. Kalinovsky, A. Niedzwiecki, M. Rath. Experimental Oncology- 2010; 32:243-248

In vivo and in vitro effect of a nutrient mixture on human hepatocarcinoma cell line SK-Hep-1. M.W. Roomi, T. Kalinovsky, A. Niedzwiecki, M. Rath. Experimental Oncology –2010;32:84-91

Patterns of MMP-2 and MMP-9 expression in human cancer cell lines. M.W. Roomi, J.C. Monterrey, T. Kalinovsky, A. Niedzwiecki, M. Rath Oncology Reports – 2009; 21:1323-1333

Marked inhibition of growth and invasive parameters of head and neck squamous carcinoma FADU by a nutrient mixture. M.W. Roomi, N.W. Roomi, T. Kalinovsky, A. Niedzwiecki, M. Rath. Integrative CancerTherapies 2009; 8(2):168-176

Inhibition of Glioma Cell Line A-172 MMP Activity and Cell Invasion in Vitro by a Nutrient Mixture. M.W. Roomi, V. Ivanov, T. Kalinovsky, A. Niedzwiecki and M. Rath. Medical Oncology 2007; 24(2): 231-238

Inhibitory of Cell Invasion and MMP Production by a Nutrient Mixture in Malignant Liposarcoma Cell Line SW-872. M.W. Roomi, V. Ivanov, T. Kalinovsky, A. Niedzwiecki, M. Rath. Medical Oncology 2007; 24(4):394-401

In Vitro Anticarcinogenic Effect of a Nutrient Mixture on Human Rhadomyosarcoma Cells. M.W. Roomi, V. Ivanov, T. Kalinovsky, A. Niedzwiecki, M. Rath GeneTherapy and Molecular Biology 2007; 11(B):133-144

In Vivo and in Vitro Anti-tumor Effect of a Nutrient Mixture Containing Ascorbic Acid, Lysine, Proline, and Green Tea Extract on Human Synovial Sarcoma Cancer Cells. M.W. Roomi, V. Ivanov, T. Kalinovsky, A. Niedzwiecki and M. Rath. JAMA 2006; 9(2): 30-34

A Specific Combination of Ascorbic Acid, Lysine, Proline and Epigallocatechin Gallate Inhibits Proliferation and Extracellular Matrix Invasion of Various Human Cancer Cell Lines. S.P. Netke, M.W. Roomi, V. Ivanov, A. Niedzwiecki, M. Rath. Research Communications in Pharmacology andToxicology, Emerging Drugs, 2003; Vol. II, IV37-IV50.

De overwinning op kanker! Deel 1: Iets onvoorstelbaars wordt mogelijk 198

METASTASERING

Micronutrient synergy – a new tool in effective control of metastasis and other key mechanisms of cancer. A. Niedzwiecki, M.W. Roomi, T. Kalinovsky, M. Rath. Cancer Metastasis Review 2010; 29; 529-542

Suppression of growth and hepatic metastasis of murine B16FO melanoma cells by a novel nutrient mixture. M.W. Roomi, T. Kalinovsky, N.W. Roomi, V. Ivanov, M. Rath, A. Niedzwiecki. Oncology Reports 2008; 20:809-817

A nutrient mixture suppresses hepatic metastasis in athymic nude mice injected with murine B16FO melanoma cells. M.W. Roomi, N.W. Roomi, T. Kalinovsky, J.C. Monterrery, M. Rath, and A. Niedzwiecki. BioFactors 2008; 33; 85-97

Inhibition of Pulmonary Metastasis of Melanoma B16FO Cells in C57BL/6 Mice by a Nutrient Mixture Consisting of Ascorbic Acid, Lysine, Proline, Arginine, and Green Tea Extract. M.W. Roomi, V. Ivanov, T. Kalinovsky, A. Niedzwiecki, M. Rath. Experimental Lung Research 2006; 32(10):517-30

ANGIOG ENESE

Distinct patterns of matrix metalloproteinase-2 and -9 expression in normal human cell lines. M.W. Roomi, J.C. Monterrery, T. Kalinovsky, M. Rath, and A. Niedzwiecki. Oncology Reports – 2009; 21: 821-826

Patterns of MMP-2 and MMP-9 expression in human cancer cell lines. M.W. Roomi, J.C. Monterrery, T. Kalinovsky, M. Rath, and A. Niedzwiecki. Oncology Reports – 2009; 21:1323-1333

Antiangiogenic properties of a nutrient mixture in a model of hemangioma. M.W. Roomi, T. Kalinovsky, M. Rath, and A. Niedzwiecki. Experimental Oncology – Accepted 10/26/09

A novel nutrient mixture containing ascorbic acid, lysine, proline and green tea extract inhibits critical parameters in angiogenesis . M.W. Roomi, V. Ivanov, T. Kalinovsky, A. Niedzwiecki, M. Rath in Anti-Angiogenic. Functional and Medicinal Foods, edited by Losso JN, Shahidi F, Bagchi D, CRC Press,Taylor& Francis Group, Boca Raton, London, NewYork, 2007, pages 561-580

Inhibitory Effect of a Mixture Containing Ascorbic Acid, Lysine, Proline, and Green Tea Extract on Critical Parameters in Angiogenesis. M.W. Roomi, N.W. Roomi, V. Ivanov, T. Kalinovsky, A. Niedzwiecki, M. Rath. Oncology Reports 2005, 14(4), 807-815.

Antiangiogenic Effects of a Nutrient Mixture on Human Umbilical Vein Endothelial Cells. M.W. Roomi, N.W. Roomi, V. Ivanov, T. Kalinovsky, A. Niedzwiecki,

Bijlage - Belangrijke documentatie 199

M. Rath. Oncology Reports 2005;14(6):1399-404

Overige l iteratuur :

De Prithwish et al., Breast cancer incidence and hormone replacement therapy in Canada. J. Natl. Cancer Inst. 2010; 102: 1-7

Jemal A. et al., Global cancer statistics, CA Cancer J Clin. 2011; 61: 69-90.

Jemal A et al., Trends in the Leading Causes of Death in the United States, 1970-2002. JAMA 2005, 294: 1255-1259

Hirsh J, An Anniversary for Cancer Chemotherapy. JAMA 2006; 296; 1518-1520.

Phang J.M. et al., The metabolism of proline, a stress substance, modulates carcinogenic pathways. Amino Acids, 2008; 35; 681-690

Duffy M.J., The urokinase plasminogen activator system: role in malignancy. Curr. Pharm. Des., 2004; 10; 39-49

Henriet P et al., Contact with fibrillar collagen inhibits melanoma cell proliferation by up-regulating p27 KIP1. Proc Natl Acad Sci USA, 2000; 97; 10026-10031.

K. Almholt et al., Reduced metastasis of transgenic mammary cancer in urokinase deficient mice. Int. J. Cancer 2005; 113: 525-532

Ruhul Amin A.R.M. et al., Perspectives for Cancer Prevention with Natural Co pounds. J. Clin. Oncol. 2009; 27: 2712-2725

Oak Min-Ho et al., Antiangiogenic properties of natural polyphenols from red wine and green tea. J. Nutr. Biochem. 2005; 16, 1-8

Morgan G et al., The Contribution of Cytotoxic Chemotherapy to 5-year Survival in Adult Malignancies. Clin. Oncol. 2004; 16: 549-560.

De overwinning op
Deel
wordt mogelijk 200
kanker!
1: Iets onvoorstelbaars

Belangrijke websites

Als u meer wilt weten over bepaalde onderwerpen die in dit boek werden behandeld, dan kunt u onder andere meer informatie vinden op deze websites:

•www.drrathresearch.org

Officiële website van ons onderzoeksinstituut in Californië

• www.healthlibrary.info

(Independent Library of Nutrition and Natural Health)

Innovatieve online bron van wetenschappelijk onderbouwde informatie over natuurlijke gezondheid. Het omvat een uitgebreide selectie van wetenschappelijke studies op het gebied van voeding en preventieve gezondheidszorg, met name op het gebied van micronutriëntenonderzoek.

• www.jcmnh.org

(Journal of Cellular Medicine and Natural Health) Internationaal, niet-commercieel journaal gewijd aan onderzoek over natuurlijke gezondheid. De gezamenlijke missie is het creëren van een geschikt platform, om het “anders denken” te bevorderen, door middel van wereldwijde verspreiding van wetenschappelijke inzichten aan een breed publiek.

• www.hpcm.org

(Health Professionals for Cellular Medicine)

Officiële website voor alternatieve zorgverleners en professionals die op het gebied van natuurlijke gezondheidszorg

Bijlage - Belangrijke documentatie 201

De mens wordt al eeuwen lang geteisterd door een tot op heden ongeneeslijke ziekte: kanker. Al bijna een eeuw lang is deze ziekte het doelwit van de farmaceutische industrie en haar investeerders, die de kanker epidemie in een multimiljarden business hebben omgetoverd.

Het resultaat daarvan was voorspelbaar. Aan het begin van de 21ste eeuw is kanker een wereldwijde plaag; het aantal overledenen aan de meeste soorten kanker blijft stijgen en de explosieve kosten voor chemotherapie en andere twijfelachtige behandelmethoden leiden tot een financieel debacle voor zowel particulieren als voor de gemeenschap.

Dit boek maakt een einde aan deze tragedie. De natuurlijke geneeswijzen die in dit boek worden gepresenteerd berusten op wetenschappelijke gronden en kunnen alle sleutel-mechanismen in de cel die kanker tot een dodelijke ziekte maken, belemmeren.

Door de publicatie van dit boek wordt een einde gemaakt aan het ‘tijdperk van het vergiftigen van cellen’ door middel van chemotherapie en bestraling, dat wordt vervangen door het nieuwe ‘tijdperk van cel-regulering ’.

Dit boek pretendeert niet dat het einde van de kankerepidemie al in zicht is, maar effent het pad daartoe.

De winst uit de verkoop van dit boek komt ten goede aan de DR. RATH HEALTH FOUNDATION, een stichting zonder winstbejag, die zich inzet voor onderzoek naar- en verspreiding van natuurgeneeswijzen die gebaseerd zijn op wetenschappelijk onderzoek. www.dr-rath-foundation.org

Dr Rath Dr DDr. Aleksandrar. Dr.ADr. AlDr. Dr.AleksaDr.AleksanAleksand Aleksandr Niedzwiecki N Ni Nie Nied Niedz Niedzw Niedzwi Niedzwie Niedzwiec Niedzwieck
€ 12,90
ISBN 978-90-76332-89-5

Turn static files into dynamic content formats.

Create a flipbook
Issuu converts static files into: digital portfolios, online yearbooks, online catalogs, digital photo albums and more. Sign up and create your flipbook.