Skip to main content

Clover magazine_blader

Page 1


Bij Clover Orthodontie is technologie geen doel op zich, maar onderdeel van een doordacht behandelproces.

Moderne systemen krijgen pas waarde wanneer ze worden gecombineerd met ervaring, kennis en een gestructureerde werkwijze. In dit magazine laten we zien hoe technologie,

“Iedere praktijk zegt dat ze met moderne technologie werken - wij laten u graag zien wat dat in de praktijk écht betekent.”

vakmanschap en persoonlijke aandacht samenkomen in zorg die:

• nauwkeurig is,

• efficiënt verloopt,

• en op de lange termijn stabiel blijft — altijd met oog voor het gezicht, het profiel en de persoon achter de glimlach.

VOORWOORD

Orthodontie ontwikkelt zich snel. Behandeltechnieken worden verfijnder, digitale middelen spelen een steeds grotere rol en patiënten verwachten niet alleen rechte tanden, maar een stabiel, natuurlijk en functioneel eindresultaat — passend bij het gezicht.

Deze eerste editie laat zien hoe wij orthodontie benaderen: hoe wij denken, plannen en behandelen. Niet ingewikkeld technisch, maar in duidelijke taal en met voorbeelden uit de praktijk.

We kiezen er bewust voor om niet te verzanden in technische details — zoals verschillen tussen röntgenopnamen — maar om inzicht te geven in de keuzes die wij maken aan de stoel én daarbuiten.

In dit magazine vindt u:

• klinische casussen met onderbouwde behandelstrategieën,

• hoe wij groei, functie en esthetiek combineren in een behandelplan,

• de manier waarop wij systemen zoals Damon Ultima, aligners en groei-beïnvloedende apparatuur inzetten,

• én hoe kwaliteit geborgd wordt binnen de praktijk (ISO 9001, interdisciplinaire samenwerking, scholing).

Orthodontie kent vele wegen die naar een goed resultaat leiden.

Wat u in dit magazine leest, is onze manier — gebaseerd op ervaring, samenwerking, protocollen en een voortdurende zoektocht naar verbetering. Niet als blauwdruk voor anderen, maar als open inkijk in hoe wij denken en doen.

Dit magazine is geschreven voor tandartsen, verwijzers, ouders en iedereen die geïnteresseerd is in moderne orthodontie. We hopen dat het inspireert, informeert en uitnodigt tot gesprek.

Met vriendelijke groet,

Jason Cruden Praktijkhouder

Milou Huijers

Praktijkmanager– namens Clover Orthodontie

Team Clover Orthodontie

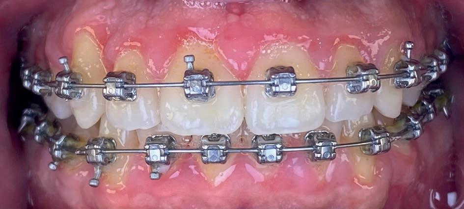
Damon Ultima: lichte krachten, maximale

controle

Niet alleen het eindresultaat, maar ook comfort, stabiliteit en behandelduur worden bepaald door het bracketsysteem. Daarom werkt Clover Orthodontie met Damon Ultima™, de nieuwste generatie zelfligerende brackets.

Bij dit systeem wordt de draad niet vastgeklemd met elastiekjes, maar ligt deze vrij in het slot. Hierdoor ontstaat nauwelijks wrijving, bewegen tanden volgens de biologische principes en zijn de krachten laag en continu — comfortabeler voor de patiënt én gunstig voor het parodontium.

Wat Damon Ultima uniek maakt, is de spelingvrije passing tussen draad en slot. Hierdoor kunnen tanden in drie richtingen — verticaal, horizontaal en in rotatie — uiterst nauwkeurig worden gestuurd. Dit maakt o.a. mogelijk:

• ruimtecreatie en kaakverbreding zónder extracties,

• een natuurlijke lachlijn en stabiele occlusie,

• voorspelbare afwerking van ook complexe casussen.

“Minder kracht, meer controle, dát is moderne orthodontie.”

Traditionele brackets – effectief, maar met beperkingen

Traditionele brackets maken gebruik van elastiekjes (ligaturen) die de draad op zijn plaats drukken. Dit werkt, maar brengt beperkingen met zich mee:

• Elastiekjes geven meer wrijving  tanden bewegen trager.

• Daarvoor moeten hogere krachten gebruikt worden.

• Elastiekjes vervuilen, verliezen spanning en vragen meer onderhoud.

• De bracket-draadrelatie is minder nauwkeurig, wat de afwerking beïnvloedt.

Veel kinderen kozen graag kleurtjes — maar vanuit behandeloogpunt zorgt dit systeem voor meer onderhoud, langere behandeltijd en minder precisie.

“Traditionele brackets waren het begin — de techniek is verdergegaan.”

Waarom de keuze ertoe doet

Het is niet de bracket alleen, maar de combinatie van systeem + ervaring + behandelprotocol. Bij Clover

Orthodontie wordt Damon Ultima toegepast binnen vaste, uitgewerkte protocollen. Daardoor kunnen:

• vaak extracties worden voorkomen;

• gelaat en profiel behouden blijven;

• behandelingen efficiënter en stabieler verlopen.

“Niet elke beugel werkt hetzelfde — en niet elk systeem behandelt met dezelfde biologie, precisie en stabiliteit.”

Waar wetenschap en vakmanschap samenkomen

Achter moderne orthodontie schuilt een samenspel van kennis, precisie en ervaring. Bij Clover Orthodontie komt dit tot uiting in de samenwerking tussen Jan Willem Bel en Jason Cruden — een combinatie waarin wetenschappelijke onderbouwing en praktische expertise elkaar aanvullen.

Jan Willem Bel is ruim 20 jaar tandarts voor orthodontie en werkt volgens de landelijke richtlijnen en kwaliteitsnormen die horen bij deze erkenning. Hij houdt zich bezig met diagnostiek, het opstellen van behandelstrategieën en het beoordelen van complexe groei- en kaakrelaties. Zijn kracht ligt in het zorgvuldig analyseren van functie, occlusie en gezichtsprofiel — waarbij esthetiek en stabiliteit altijd in balans moeten zijn.

Daarnaast blijft hij zich actief nascholen, volgt internationale congressen en vertaalt wetenschappelijke inzichten naar concrete behandelprotocollen binnen de praktijk.

Jason Cruden, praktijkhouder, werkt inmiddels 17 jaar in de orthodontie. Hij combineert zijn klinische ervaring met expertise in kwaliteitsbewaking en stralingsveiligheid. Hij is gediplomeerd en bevoegd als Toezichthoudend Medewerker Stralingsbescherming (TMS) voor tandheelkunde en ziet toe op de veilige toepassing van röntgenstraling binnen de praktijk. Daarnaast draagt hij zorg voor de ISO 9001-systematiek en de naleving van wet- en regelgeving, om structureel verantwoorde en toetsbare zorg te garanderen.

Hoewel hij de praktijk aanstuurt, staat Jason dagelijks aan de stoel. Hij richt zich op de technische uitvoering van behandelplannen — van bracketplaatsing tot het nauwkeurig afwerken van complexe casussen. Het

buigen van draden, detailcorrecties en het vertalen van behandelstrategieën naar uitvoering vormen voor hem het hart van het vak.

Complementaire samenwerking

Samen vormen Jan Willem en Jason een complementair team waarin evidence-based orthodontie, klinische uitvoering, wetenschap en ambacht samenkomen.

Deze synergie zorgt voor stabiele, voorspelbare en hoogwaardige behandelresultaten — in het belang van zowel patiënt als verwijzer.

Vooruitblik:

Nieuwe fase voor Clover Orthodontie

Vanaf januari 2026 mogen wij een orthodontist toevoegen aan ons team. Als versterking van de koers die wij varen: orthodontische zorg op hoog niveau, met ruimte voor verdieping, samenwerking en innovatie.

Een stap vooruit waarmee we onze praktijk verder toekomstbestendig maken — voor patienten én verwijzers.

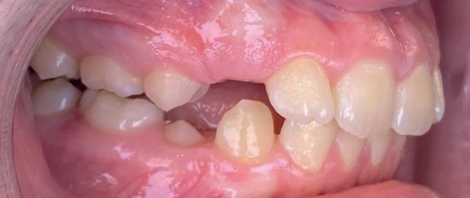
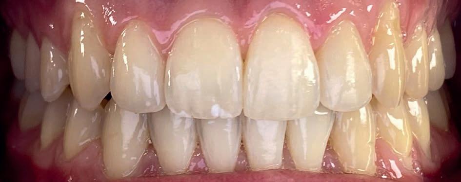
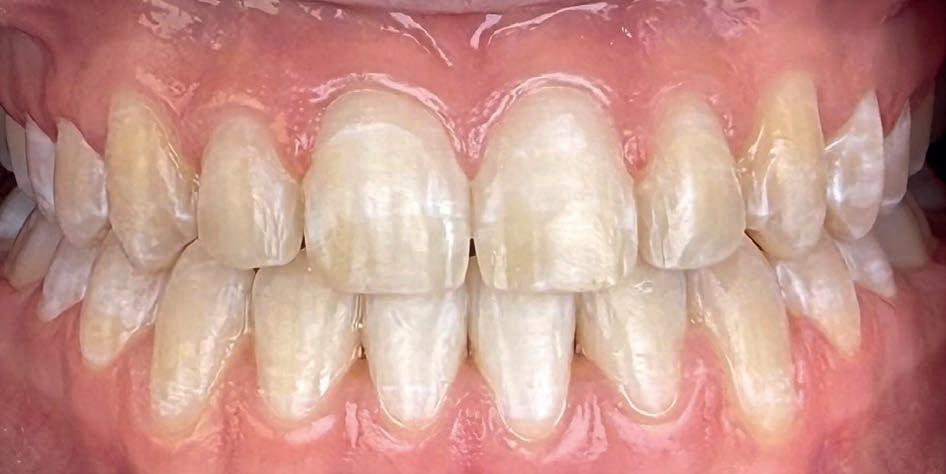
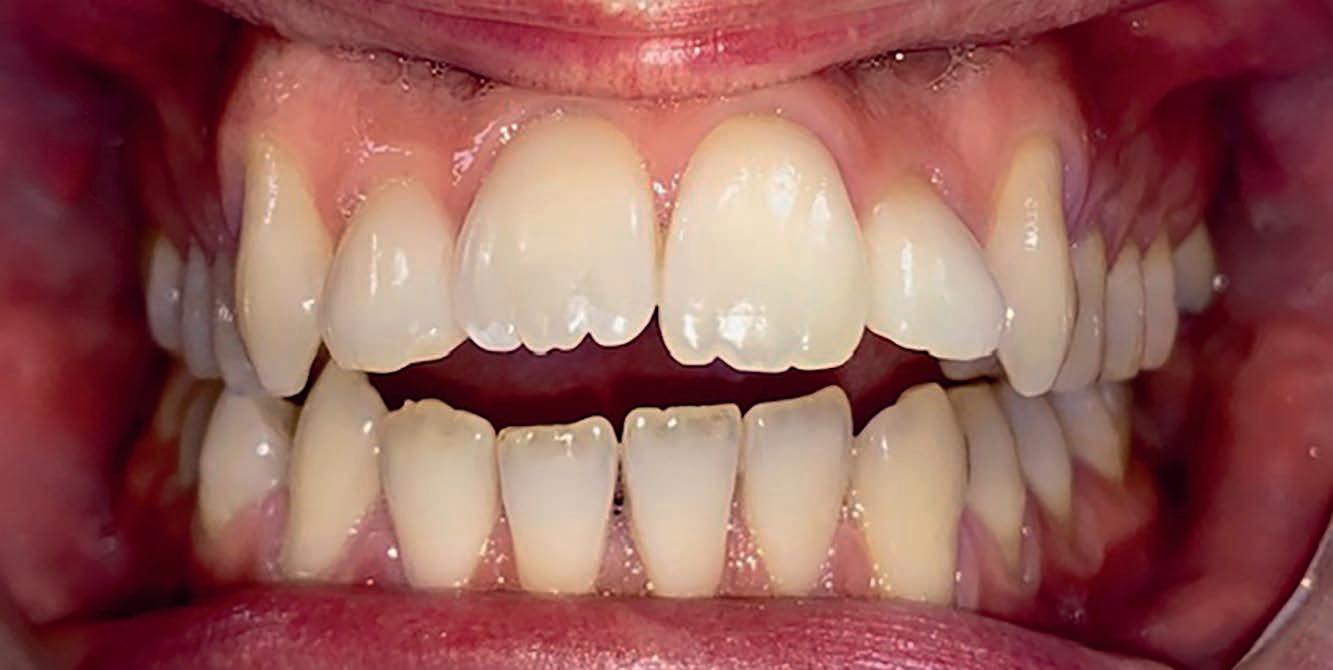
Casus: Jorn

Niet-chirurgische correctie van een Klasse III-relatie

Patiënt: Jorn (18 jaar)

Behandelduur: 15 maanden

Behandeling: Damon Ultima brackets en elastieken

Jorn en zijn vader kwamen via Google bij Clover

Orthodontie terecht, nadat hij elders een chirurgisch behandelvoorstel had gekregen. Als actieve voetballer paste een operatie niet in zijn leven. Hij presenteerde zich met een skeletale Klasse III-relatie, anterieure kruisbeet, negatieve sagittale overbeet en een concaaf profiel.

Behandelstrategie

Er werd gekozen voor een behandeling met Damon Ultima brackets en een strak gepland elastiekprotocol. Vanaf het begin droeg Jorn Klasse III-elastieken om de sagittale discrepantie te corrigeren. Dankzij de precisie en lage frictie van Damon Ultima konden we transversaal én sagittaal corrigeren zonder chirurgische ingreep.

Het eindresultaat bestond uit een stabiele Klasse I-occlusie met een duidelijk verbeterd profiel. Er zijn geen extracties of chirurgische ingrepen uitgevoerd. Voor de retentie werd gekozen voor vaste spalken in combinatie met nachtbeugels, om het bereikte resultaat langdurig te behouden.

Waarom een eerste

orthodontische controle rond 10 jaar zo belangrijk is

Rond het tiende levensjaar bevindt de groei van de kaken zich in een cruciale fase. In deze periode kunnen we de ontwikkeling nog gericht en relatief eenvoudig beïnvloeden. Dat maakt dit een ideaal moment om eventuele afwijkingen vroegtijdig op te sporen en subtiel bij te sturen.

Door tijdig te evalueren, kunnen vaak kleinere correcties worden toegepast, waardoor later grotere en complexere behandelingen niet meer nodig zijn. Ook helpt een vroege controle om problemen zoals kruisbeten, ruimtegebrek of verkeerde groeirichtingen in een vroeg stadium te herkennen.

Daarnaast is het goed om rekening te houden met de wachttijd van veel orthodontieverzekeringen: vaak geldt er een wachttijd van één jaar. Door tijdig een eerste consult te plannen, kan de verzekering op tijd worden afgesloten en worden financiële verrassingen voorkomen.

Een eerste controle betekent niet dat de behandeling direct van start gaat. Vaak is het vooral een moment om samen vooruit te kijken, de ontwikkeling goed te volgen en zo op het juiste moment met de juiste behandeling te beginnen.

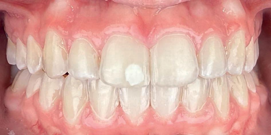
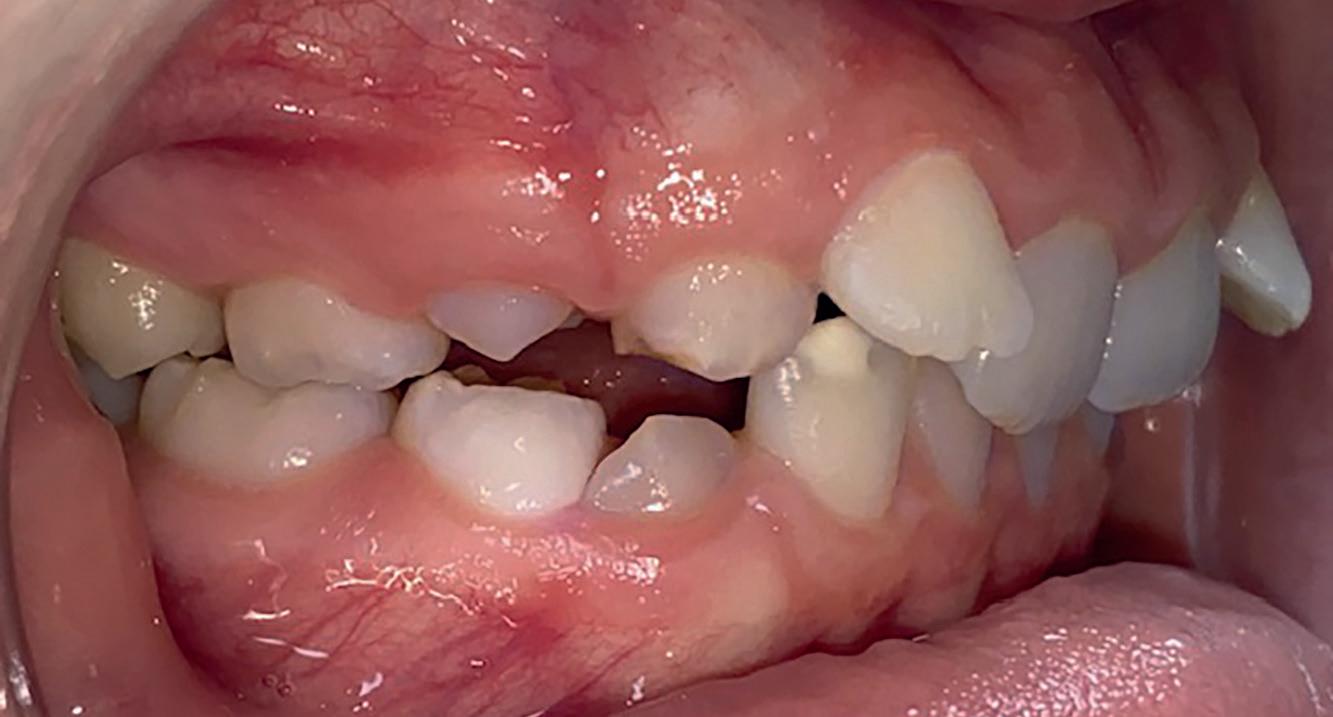
Casus uit de Praktijk

Casus: Blix – Ruimte creëren zonder extracties met D-gainer en Damon Ultima Blix (10 jaar) presenteerde zich met een klasse II-occlusie, smalle boven- en onderkaak en ruimtegebrek voor de doorbraak van de hoektanden en premolaren. Hoewel haar gezicht in balans was, zou zonder behandeling het gebrek aan ruimte toenemen en de diepe beet verder verergeren.

Behandeling in twee fasen

1. D-gainer & verbreding

Om extracties te voorkomen, werd gestart met een D-gainer. Dit is een methode met slotjes en veertjes waarmee de molaren gecontroleerd naar achteren worden verplaatst. Tegelijkertijd werd de tandboog verbreed – zonder buitenboordbeugel.

• Doel: ruimte creëren voor de hoektanden (13/23) zonder premolaren te verwijderen

• Duur: ongeveer 6 maanden

2. Vaste beugel (Damon Ultima)

Na voldoende ruimte werd gestart met de volledige vaste beugel in boven- en onderkaak. Hiermee werden de tandbogen uitgevlakt, de scheefstand gecorrigeerd en de tandbogen verbreed – met behoud van het natuurlijke profiel.

Resultaat

• Klasse I-occlusie

• Harmonieuze lachlijn en verbrede tandbogen

• Geen extracties

• Profiel en gezichtsbalans behouden

Retentie: Vaste spalk boven én onder, aangevuld met een nachtbeugel

“Door ruimte te creëren met een D-gainer in plaats van tanden te trekken, blijft het profiel natuurlijk en ontstaat een bredere, stabiele tandboog.”

voor

Een deskundig team als stabiele basis

Moderne orthodontie is teamwork. Achter elke behandeling staat een goed opgeleid en hecht team dat met precisie samenwerkt.

Bij Clover Orthodontie spelen de gediplomeerde orthodontie-assistentes een centrale rol in de dagelijkse patiëntenzorg. Veel van hen hebben een vooropleiding als tandartsassistent en hebben zich verder gespecialiseerd binnen de orthodontie. Ze werken volgens vaste protocollen en zijn bekwaam in zowel vaste apparatuur als aligner behandelingen.

De dagelijkse organisatie is in handen van Milou Huijers, praktijkmanager. Zij verzorgt de administratieve processen van A tot Z en vormt de belangrijke schakel tussen Jason Cruden, Jan Willem Bel en het

assistententeam. Dankzij haar overzicht en strakke coördinatie verlopen de behandelingen gestructureerd en soepel.

Samen vormen de assistentes, Milou, Jason en Jan Willem een hecht en professioneel team dat garant staat voor hoogwaardige, goed georganiseerde orthodontische zorg.

ISO 9001 Kwaliteit zwart op wit

ISO 9001 is een internationaal erkend kwaliteitsmanagementsysteem dat organisaties helpt hun processen gestructureerd, transparant en toetsbaar te organiseren. In de zorg betekent dit dat niet alleen de patiëntenzorg centraal staat, maar ook de manier waarop die zorg wordt geleverd.

Bij Clover Orthodontie zijn alle onderdelen van de praktijk — van diagnostiek en behandeling tot hygiëne, administratie en klachtenafhandeling — vastgelegd in duidelijke protocollen en procedures. Deze worden periodiek getoetst door een onafhankelijke instantie, waardoor kwaliteit continu wordt bewaakt en verbeterd.

Voor verwijzende tandartsen betekent dit dat elke behandeling plaatsvindt binnen een helder en professioneel georganiseerd systeem. Er is altijd inzicht in onze werkwijze, wat zorgt voor voorspelbaarheid, vertrouwen en een soepele samenwerking.

Voor patiënten biedt de ISO 9001-certificering de zekerheid dat elke stap in het behandelproces — van het eerste consult tot de retentiefase — onderdeel is van een gecontroleerd en aantoonbaar kwaliteitsproces. Zo combineren we hoogwaardige zorg met transparantie en betrouwbaarheid.

Internationale inspiratie in Malta en Amsterdam

In oktober 2025 reisde een deel van het team van Clover Orthodontie af naar Malta voor een internationaal congres over moderne orthodontische behandeltechnieken. Tijdens dit congres werden de nieuwste inzichten gedeeld over zowel het Damon Ultima systeem als aligner behandelingen.

Internationale sprekers presenteerden hun aanpak van complexe casussen en deelden praktische

Wist je dat…?

oplossingen die direct toepasbaar zijn in de kliniek. Naast de lezingen was er ruimte om met collega’s uit verschillende landen ervaringen uit te wisselen en te spreken over behandelprotocollen en nieuwe ontwikkelingen.

De opgedane kennis en inspiratie nemen we mee naar de praktijk — niet alleen om nationaal mee te gaan met de nieuwste ontwikkelingen, maar juist ook om internationaal voorop te blijven lopen.

Orthodontie zit vol verrassende verhalen — van farao’s tot transparante aligners.

• In het oude Egypte werden al metalen bandjes rond tanden gevonden bij mummies — een vroege vorm van tandverplaatsing.

• De Fransman Pierre Fauchard beschreef in 1728 een metalen “bandeau” om tanden te corrigeren. Hij wordt gezien als de grondlegger van de moderne orthodontie.

• In de 19e eeuw gebruikten orthodontisten geometrische principes van Euclides om tandbogen te analyseren — de voorloper van onze digitale behandelplanning.

• In de jaren 40 experimenteerde een Amerikaanse tandarts met cellofaanhoesjes rond tanden — een vroeg idee van aligners, decennia vóór Invisalign.

• Begin 20e eeuw gold orthodontie in Japan als een westers statussymbool; tegenwoordig zijn esthetische brackets daar razend populair bij volwassenen.

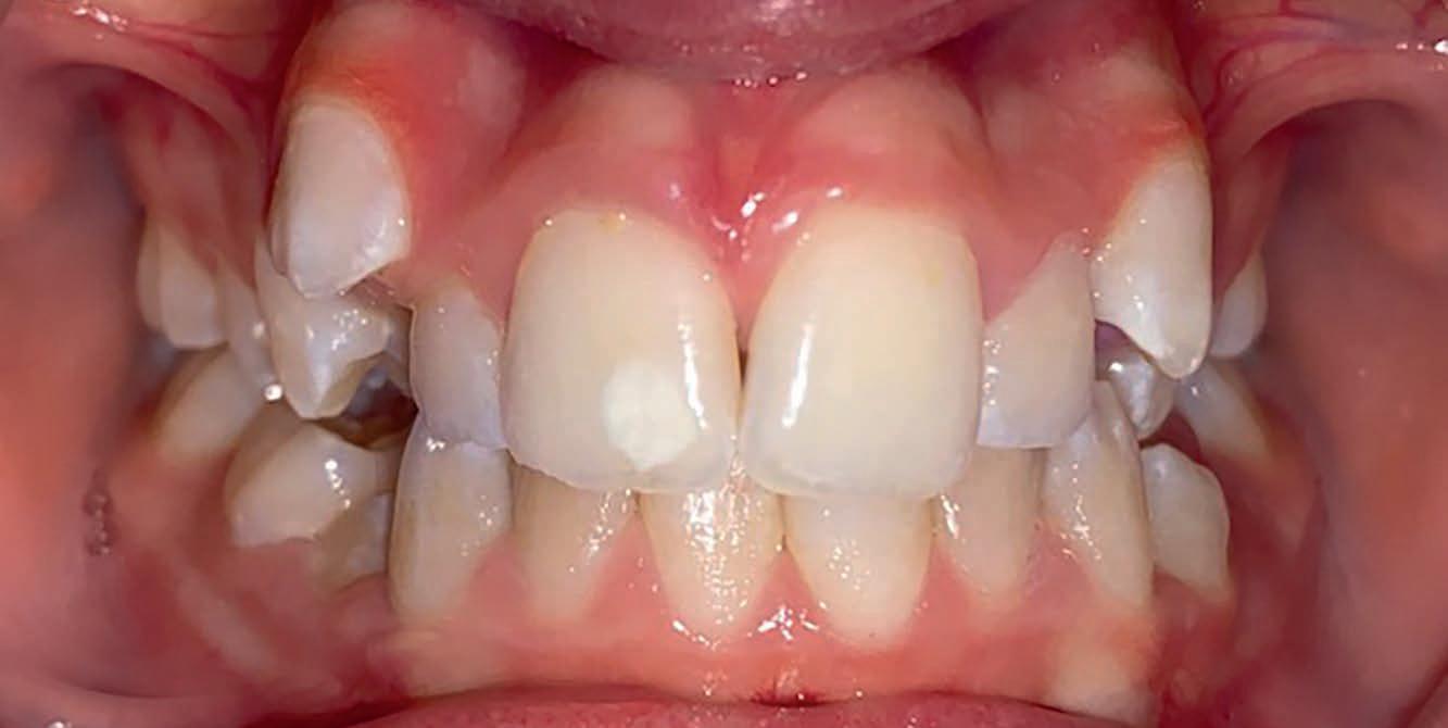
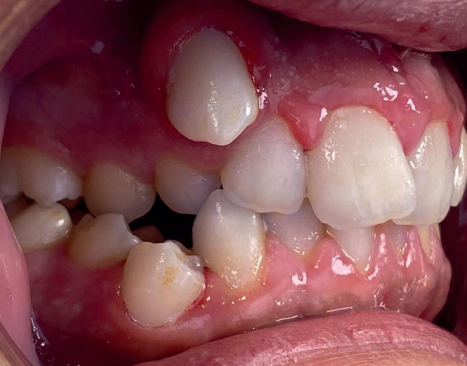
Casus in Proces

Patiënt Sonnie presenteerde zich met ernstig ruimtegebrek ter hoogte van de 13 en 44 en een kruisbeet aan de zijde van de 15 en 14. De 13 was ectostematisch gepositioneerd, waardoor extractie aanvankelijk als mogelijke behandeloptie werd overwogen.

Door een combinatie van verbreding en het inzetten van een D-gainer wordt de benodigde ruimte gecreeerd om alle elementen correct in de tandboog te positioneren, waardoor extracties kunnen worden vermeden. De behandeling zal binnen twee jaar worden afgerond; het eindresultaat wordt gedeeld in editie 2 van ons magazine.

Start behandeling

Start behandeling

Start behandeling

Midden behandeling

Laatste fase

Casus uit de Praktijk

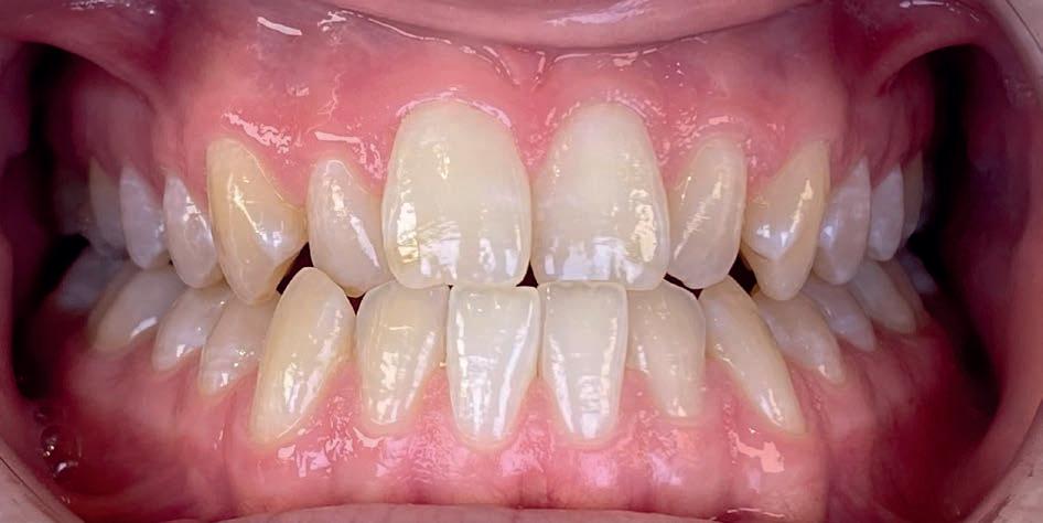
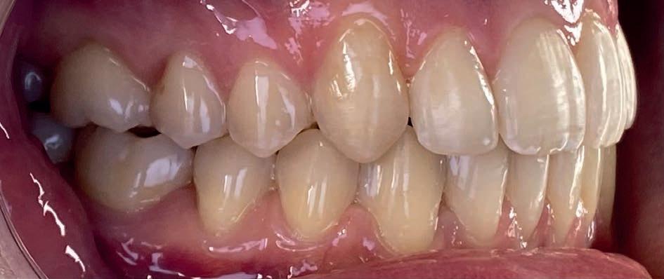
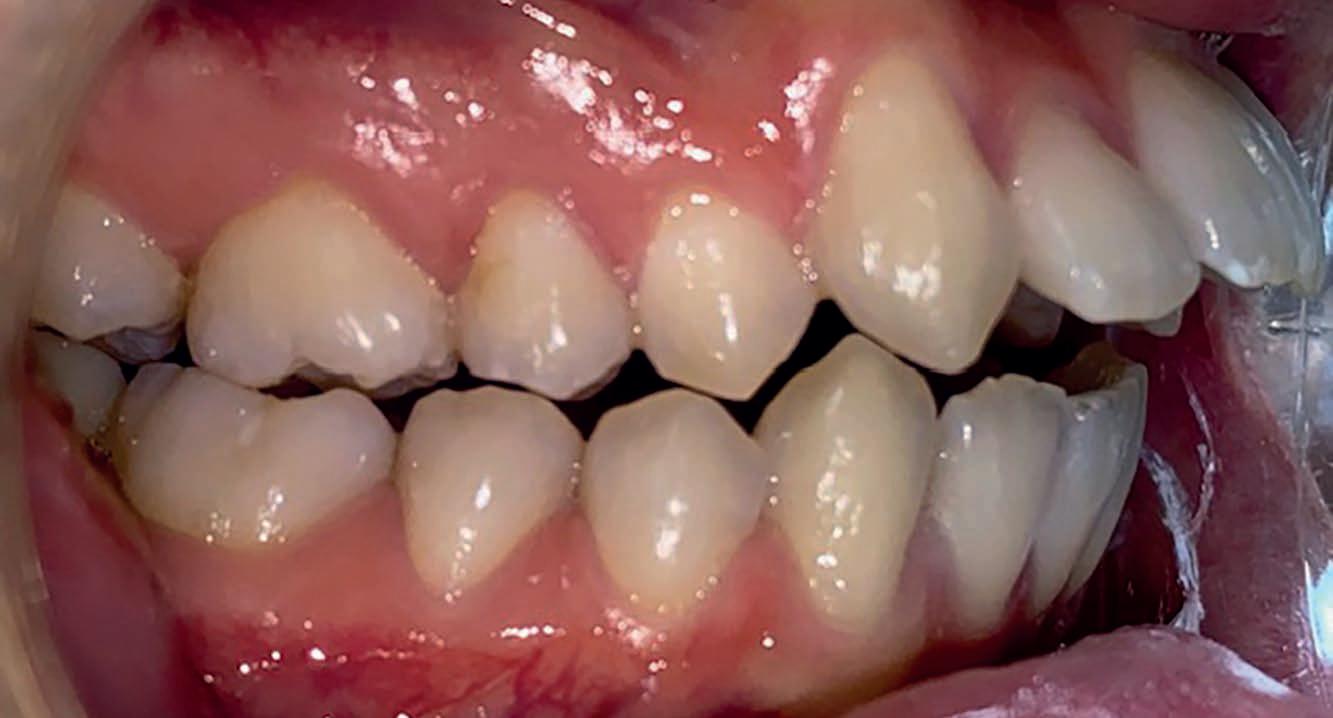
Klasse II-correctie met Invisalign en sequential distalization

Patiënt: Stef (21 jaar)

Behandelduur:

23 december 2023 – 23 januari 2025

Behandeling: Invisalign Comprehensive met elastieken en buttons

Stef presenteerde zich met een skeletale Klasse II-1-relatie, een overjet van 7 mm en een negatieve verticale overbeet van -4 mm. De bovenincisieven waren proclined en er was sprake van tongpersgedrag. Zijn profiel was convex.

Behandelstrategie

Stef kreeg een comprehensive Invisalign-behandeling. In de eerste fase gebruikten we 45 aligners, gevolgd door 9 refinement-aligners. De Klasse II-correctie werd bereikt via sequential distalization: molaren worden kwadrant voor kwadrant naar distaal verplaatst, volgens onze uitgewerkte interne protocollen. Hierdoor konden we maximale verplaatsing realiseren zonder extracties.

Daarnaast zijn Klasse II-elastieken ingezet voor sagittale correctie en later buttons geplaatst om de frontocclusie te sluiten. De combinatie van verbreding en gecontroleerde tandverplaatsing gaf de tong meer ruimte om in rust correct te positioneren. De behandeling werd afgerond met vaste spalken en nachtbeugels.

Het resultaat is een stabiele Klasse I-occlusie met een gesloten beet en eent positieve lachlijn. De behandeling is uitgevoerd zonder premolaar-extracties, met behoud van het natuurlijke profiel.

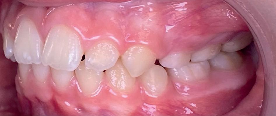
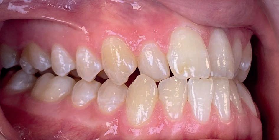
Casus uit de Praktijk

Casus Najib – Open beet en Klasse III gecorrigeerd zonder chirurgie

Najib (14 jaar) kwam bij ons met een skeletale Klasse III-relatie en een open beet van 4 mm. De onderkaak stond iets naar voren ten opzichte van de bovenkaak, en door afwijkend tonggedrag sloten de voortanden niet op elkaar. Daarnaast was sprake van een lichte midline verschuiving in de onderkaak. Hoewel zijn profiel redelijk in balans was, zou zonder behandeling de open beet kunnen verergeren, met mogelijke gevolgen voor kauwfunctie, spraak en esthetiek.

Behandeling

1. Mechanische correctie met Damon Ultima

Er werd gekozen voor een vaste beugel met het Damon Ultima-systeem, vanwege de mogelijkheid om gecontroleerd te verbreden én de beet te sluiten met lage krachten.

Tijdens de behandeling zijn verschillende elastiekconfiguraties toegepast:

• Klasse III-elastieken voor sagittale correctie

• V-elastieken om de open beet te sluiten

• Box-elastieken voor fine-tuning van de occlusie

2. Functionele begeleiding – tonggedrag

Omdat de open beet mede werd veroorzaakt door tonginterpositie bij slikken en spreken, is naast de vaste beugel ook functionele begeleiding gegeven:

• Instructie tongpositie en slikpatroon

• Plaatsing van een linguale spikes om de tong achter de voortanden te houden

Deze combinatie van mechanische correctie en functionele begeleiding was essentieel om terugval te voorkomen.

Resultaat Na ruim 14 maanden behandeling:

• Een gesloten, stabiele beet

• Klasse I-occlusie

• Verbeterde tongfunctie

• Geen extracties of kaakchirurgie

Najib draagt nu een vaste spalk in bovenen onderkaak, gecombineerd met een nachtbeugel ter ondersteuning van de retentie.

“Door mechaniek en functie samen aan te pakken, hebben we een open beet bij een Klasse III-profiel kunnen corrigeren — zonder chirurgische ingreep.”

Casus: uit de Praktijk Sole & Jalissa.

Eén overbeet, twee gezichten

Sole en Jalissa kwamen op jonge leeftijd bij ons in de praktijk. Op het eerste gezicht leken hun gebitten totaal verschillend, maar achter de lach ging dezelfde afwijking schuil: een overbeet van 9–10 mm en versmalde tandbogen.

Bij Jalissa was de Klasse II-relatie direct zichtbaar: de bovenkaak stond duidelijk vóór de onderkaak en de lippen sloten moeilijk.

Bij Sole leek het minder opvallend. Haar bovenste snijtanden (11/21) stonden namelijk naar binnen gekanteld (Klasse II Divisie 2), waardoor de overbeet gecamoufleerd werd – maar de kaakrelatie was identiek.

Dit soort casussen laten zien waarom het belangrijk is om verder te kijken dan alleen de zichtbare tandstanden. Wat aan de buitenkant mild lijkt, kan functioneel en skeletaal net zo ernstig zijn.

Behandeling – starten met de juiste basis

Beide meisjes begonnen met een Twinblock-beugel, een functioneel apparaat dat de groei van de onderkaak stimuleert en de overbeet corrigeert. Ze droegen deze 9 tot 12 maanden.

Deze fase zorgde voor:

• Voorwaartse groei en positionering van de onderkaak

• Verbetering van de lip- en profielbalans

• Ruimte in de kaakbogen door natuurlijke verbreding

• Voorbereiding op een voorspelbaar verloop met vaste apparatuur (slotjesbeugel)

Na deze fase kan de slotjesbeugels efficiënt starten.

Waarom timing belangrijk is

Wij adviseren om een Twinblock te starten rond eind groep 6 of begin groep 7. In deze periode:

• is de groeispurt optimaal te benutten,

• is de motivatie hoger (voor middelbare school),

• en kan een operatie of complexe behandeling op latere leeftijd vaak worden voorkomen.

Te laat starten – bijvoorbeeld in de brugklas – betekent meestal minder groei, minder motivatie en grotere behandeluitdagingen.

Overbeet: 9 - 10 mm bij beide

Kaakrelatie: Klasse II (Jalissa)

Klasse II Div. 2 (Sole, 11/21 retrogekanteld)

Tandbogen: Versmald

Eerste behandeling: Twinblock, 9 - 12 maanden

Doel: Kaakrelatie corrigeren, profiel

verbeteren, ruimte creëren

Resultaat: Zachter profiel, betere balans, goede basis voor slotjesbeugel

orthodontische behandeling: samenwerking loont

Een goede mondhygiëne is een cruciale factor voor het succes van elke orthodontische behandeling. Tijdens de beugelperiode ontstaan er door brackets, draden of aligners namelijk meer retentieplaatsen voor plaque. Dit vraagt om extra aandacht van zowel patiënt, orthodontist als tandarts.

Bij patiënten met een goede mondhygiëne

Wanneer patiënten vanaf het begin goed poetsen en reinigen, is het belangrijk dat dit niveau consequent wordt behouden. Regelmatige controles bij de tandarts of mondhygiënist blijven essentieel — ook tijdens de orthodontische behandeling. Wij adviseren om deze patiënten minimaal twee keer per jaar professioneel te laten reinigen en de status van het tandvlees te monitoren. Eventuele beginnende problemen kunnen dan vroegtijdig worden gesignaleerd, zodat behandeling en gebitshygiëne hand in hand blijven lopen.

Bij onvoldoende mondhygiëne

Wanneer er sprake is van onvoldoende of slechte mondhygiëne, is gezamenlijke aanpak noodzakelijk. Denk aan zichtbaar plaque, gingivale zwelling of beginnende witte vleklaesies. In zulke gevallen intensiveren wij de instructie en evalueren we de motivatie en mogelijkheden van de patiënt. Soms stellen we de start van de behandeling uit, of plannen we extra controles in.

Daarnaast adviseren wij om de tandarts of mondhygienist tijdelijk vaker in te schakelen — bijvoorbeeld elke 3 maanden — om professionele reiniging en begeleiding te bieden. Op die manier kan de mondsituatie worden gestabiliseerd voordat er verdere orthodontische stappen worden gezet.

Eenduidig advies naar de patiënt

Een consistente boodschap vanuit zowel tandarts als orthodontiepraktijk voorkomt verwarring en vergroot de therapietrouw. We stimuleren patiënten om hun reguliere tandartsbezoeken voort te zetten en geven indien nodig gerichte terugkoppeling, zodat de behandeling niet alleen mooi eindigt, maar ook gezond.

Vooruitblik naar de volgende editie

In de volgende editie van het Clover Orthodontie Magazine nemen we u verder mee in de wereld van moderne orthodontie. We laten nieuwe casussen zien en geven inzicht in hoe wij interne processen ontwikkelen en optimaliseren om vooruitstrevend te blijven.

Wat kunt u verwachten?

• Orthodontie & AI

Hoe digitale behandelplanning, algoritmes en 3D-technologie de orthodontie veranderen — en waar menselijke expertise onmisbaar blijft.

• Retentie onder de loep

Waarom de retentiefase net zo belangrijk is als de actieve behandeling, welke materialen wij

gebruiken en waar de grootste valkuilen liggen bij retentiedraden.

• Twinblock & groeibeïnvloeding

Voorbeelden van grote overbeten (9–12 mm) die zonder chirurgie gecorrigeerd zijn met een twinblock — inclusief profielverbetering.

• Orthodontie en kaakchirurgie

Samenwerkingscasussen waarbij esthetiek, functie en stabiliteit samenkomen.

• Complexe casussen uit de praktijk

Waar geavanceerde mechaniek, ervaring en protocol het verschil maken.

Kortom — een volgende editie vol verdieping, techniek en eerlijke inzichten uit onze behandelkamers.

Turn static files into dynamic content formats.

Create a flipbook
Clover magazine_blader by Cloverorthodontie - Issuu