Inkijkexemplaar Food Science & Law

Page 1

Voeding,

Nr./N° 2023/1 Driemaandelijkstijdschrift Revuetrimestrielle Januari-Februari-Maart2023 Janvier-Février-Mars2023 Afgiftekantoor / Bureau de dépôt Brugge P911353 in samenwerking met en collaboration avec
wetenschap
Alimentation, science et droit
SCIENCE &LAW
en recht
FOOD

Colofon – Colophon

Redactiesecretaris – Secrétaire de la rédaction

Eveline NOTEBAERT, Zaakvoerder en coach Q-Support

Redactiecomité – Comité de rédaction

Prof. Dr. Antoine CLINQUART, Faculté de Médecine vétérinaire, Département des Sciences des Denrées alimentaires Section Technologie, Université de Liège

Dominique DEVOS, Advocaat Vennoot, Liedekerke, Wolters, Waelbroeck, Kirkpatrick

Dhr. Johan HALLAERT, Directeur Voedingsbeleid FEVIA

Prof. Dr. Liesbeth JACXSENS, UGent vakgroep voedselveiligheid en voedselkwaliteit, ZAP food safety management & risk analysis in agrifood chain; onderzoeker AGRO ABC, Primoris Holding, spin off UGent

Dr. Nicolas KORSAK, Agrégé de Faculté, Faculté de Médecine vétérinaire, Département de Sciences des Denrées alimentaires, Université de Liège

Prof. Dr. Ir. Frédéric LEROY, Onderzoeksgroep Industriële Microbiologie en Voedingsbiotechnologie, Faculteit Wetenschappen en Bio-ingenieurswetenschappen, Vrije Universiteit Brussel

Dr. Axel MAUROY, Directeur de la Direction d’encadrement pour l’évaluation des risques, AFSCA.

Eveline NOTEBAERT, Zaakvoerder en coach Q-Support

Prof. Marianne SINDIC, Unité de Technologie des IAA, Laboratoire d’Ingénierie des procédés et de la qualité, Gembloux Agro-Bio Tech, Université de Liège

Redactieadres – Adresse de la rédaction

Eveline Notebaert, eveline.notebaert@q-support.info

Abonnement

Jaargang/Année 2023: 4 nummers/numéros: € 174

Kleine Pathoekeweg 3

8000 Brugge

T 050/47 12 97

E abonnementen@diekeure.be

ISSN 2032-829X

Bestelcode: 201.238.001

Verantwoordelijke uitgever – Editeur responsable

Catherine Vandermeersch

Kleine Pathoekeweg 3

8000 Brugge

T 050/47 12 72

E professional.publishing@diekeure.be

I www.diekeure.be/nl-be/professional

www.diekeure.be/fr-be/professional

Auteursrichtlijnen – Instructions d’auteurs

Zie https://www.diekeure.be/cmsfiles/professional_publishing/ auteursinstructies_fsl.pdf

Foto cover: © Adobestock

Niets uit deze uitgave mag worden verveelvoudigd, opgeslagen in een geautomatiseerd gegevensbestand en/of openbaar gemaakt in enige vorm of op enige wijze, hetzij elektronisch, mechanisch, door fotokopieën, opnamen of op enige andere manier zonder voorafgaande schriftelijke toestemming van de uitgever.

De redactie staat in voor de betrouwbaarheid van de in het tijdschrift opgenomen info, waarvoor zij echter niet aansprakelijk kan worden gesteld.

Aucun extrait de cette édition ne peut, même partiellement, être communiqué au public, reproduit ni traduit ou adapté sous quelque forme que ce soit moyennant photocopie, microfilm, enregistrement ou tout autre medium, ou être saisi dans une banque de données sans l’autorisation écrite et préalable de l’éditeur. La rédaction garantit la fiabilité de l’information reprise dans la revue mais n’en peut être rendue responsable.

Erratum:

Op de cover van FSL 2022/4 werd verkeerdelijk juli - augustus - september 2022 vermeld. Dit moest oktober - november - december 2022 zijn.

La couverture de FSL 2022/4 mentionnait incorrectement juillet - aoûtseptembre 2022. Cela aurait dû être octobre - novembre - décembre 2022.

Voedingstechnologieën en de regelgeving daarover evolueren voortdurend, zowel op nationaal als op Europees niveau.

In het tijdschrift Food Science & Law vindt de professional een goede ‘vertaling’ van artikelen over de toepassing van wetgeving in de praktijk, gecombineerd met bijdragen die resultaten van recent relevant onderzoek op een beknopte manier overbrengen naar de voedingssector.

Food Science & Law publiceert zowel praktijkgerichte artikelen, actualiteit, verslagen, als een overzicht van de recente Europese en Belgische regelgeving over de voedselketen en interviews met belangrijke stakeholders in de sector.

Op die manier kan er snel gereageerd worden op evoluties in de sector die hun onmiddellijk belang hebben in de dagelijkse praktijk. Food Science & Law vervult dan ook een brugfunctie tussen wetenschap, recht en praktijk.

Daarvoor werd, in samenwerking met de meest prominente actoren uit de academische wereld, beroepsorganisaties en de overheid, een concept uitgewerkt om deze informatie op een aantrekkelijke, transparante, maar vooral begrijpelijke manier te brengen voor al wie actief is in de voedingssector.

Les technologies des aliments et la réglementation en la matière évoluent constamment, tant au niveau national ainsi qu’au niveau européen.

La revue Food Science & Law offre au professionnel une bonne ‘traduction’ d’articles sur l’application de la législation en pratique, en combinaison avec des contributions qui présentent de manière concise au secteur alimentaire les résultats importants issus de recherches récentes

Food Science & Law diffuse à la fois des articles à orientation pratique, de l’actualité, des rapports, ainsi qu’un aperçu de la législation européenne et belge récente au sujet de la chaîne alimentaire et des interviews avec des parties prenantes importantes du secteur.

Ainsi peut-on réagir rapidement aux évolutions du secteur qui ont une importance directe dans la pratique quotidienne. La revue Food Science & Law fonctionne dès lors comme une passerelle entre la science, le droit et la pratique.

Pour ce faire, un concept a été élaboré en collaboration avec les acteurs les plus éminents du monde académique, des organisations professionnelles et des pouvoirs publics, afin de présenter ces informations de façon attrayante, transparente et surtout compréhensible à tous ceux qui sont actifs dans le secteur alimentaire.

98926
Concept

Beste lezer,

Dit is het eerste nummer van Food, Science & Law van 2023! Diverse auteurs zijn in hun pen gekropen om u goed te informeren over een variatie aan onderwerpen en thema’s.

Dit nummer start met een uiteenzetting over fermentatiegebaseerde eiwitten voor food, feed en fijnchemicaliën. Auteurs van ILVO, UAntwerpen, UGent en BBEPP bundelden hun krachten om tot een mooi overzicht te komen.

In een volgend artikel wordt dieper ingegaan op whole genome sequencing (WGS). Deze methode biedt nieuwe mogelijkheden om informatie over pathogenen in voeding te verzamelen en uit te wisselen. Hierbij wordt dieper ingegaan op het advies van het Wetenschappelijk Comité ingesteld bij het FAVV en kunt u de visie van het FAVV nalezen.

Aanvullend krijgt u ook het verslag mee van het jaarlijkse symposium van het onafhankelijk Wetenschappelijk Comité ingesteld bij het FAVV, dat plaatsvond op vrijdag 2 december 2022. Het symposium ging over fraude in de voedselketen en de mogelijke gevolgen ervan voor de voedselveiligheid.

Wat de commerciële certificatieschema’s betreft, werd op 1 augustus 2022 de nieuwe versie van BRCGS Food gepubliceerd. De belangrijkste wijzigingen van deze versie 9 worden nader toegelicht.

Tot slot wordt het doctoraatsonderzoek van Liesel Claeys ‘in the picture’ gezet. Het doctoraat probeert een antwoord te formuleren op de vraag of mycotoxinen in voeding aanleiding kunnen geven tot de ontwikkeling van kanker.

Zoals altijd kunt u ook de nieuwigheden in de wetgeving raadplegen. Bijkomend is een overzicht opgenomen van de voornaamste adviezen van het Wetenschappelijk Comité van het FAVV uit het tweede semester van 2022.

Alvast veel leesplezier!

Eveline Notebaert

Maart 2023

Chère lectrice, Cher lecteur,

Ceci est le premier numéro du Food, Science & Law de 2023 ! Plusieurs auteurs ont pris la plume pour vous informer sur des sujets et des thèmes variés.

Ce numéro commence par un exposé sur les protéines issues de la fermentation et destinées à l’alimentation humaine et animale ainsi qu’à la chimie fine. Des auteurs de l’ILVO, de l’UAntwerpen, de l’UGent et de la BBEPP ont uni leurs forces pour rédiger ce bel aperçu.

Ensuite, un article aborde plus en détail le séquençage du génome entier (WGS). Cette méthode offre de nouvelles possibilités de collecte et d’échange d’informations sur les agents pathogènes présents dans l’alimentation. L’avis du Comité scientifique institué auprès de l’AFSCA est discuté plus en détail et vous pouvez également lire la vision de l’AFSCA.

En outre, vous découvrirez le rapport du symposium annuel du Comité scientifique indépendant de l’AFSCA, qui a eu lieu le vendredi 2 décembre 2022. Le symposium portait sur la fraude au sein de la chaîne alimentaire et sur son impact potentiel sur la sécurité alimentaire.

En ce qui concerne les systèmes de certification commerciale, la nouvelle version du BRCGS Food a été publiée le 1er août 2022. Les principales modifications de cette version 9 sont détaillées.

Enfin, la recherche doctorale de Liesel Claeys est mise à l’honneur. Le doctorat tente de répondre à la question suivante : les mycotoxines présentes dans l’alimentation peuvent-elles être à l’origine d’un cancer ?

Comme toujours, vous avez également la possibilité de consulter les nouveautés en matière de législation. Enfin, un aperçu des principaux avis du Comité scientifique de l’AFSCA du 2e semestre 2022 est également inclus.

Bonne lecture!

Eveline Notebaert Mars 2023

Artikel – Article

Fermentatiegebaseerde eiwitten ontwikkelen, produceren en verwerken tot food, feed en fijnchemicaliën

Karen Verstraete, Siegfried Vlaeminck, Geert Van Royen, Nele Ameloot, Hendrik Waegeman

Whole genome sequencing en voedselveiligheid in België

Kim Feys, Nadine Botteldoorn, Vera Cantaert, Lieven De Zutter, Véronique Delcenserie, Annemie Geeraerd Ameryckx, Jacques Mahillon, Marcella Mori, Brigitte Pochet, Nancy Roosens, Koenraad Van Hoorde, Bavo Verhaegen, Lieve Herman

Fraud in the food chain and consequences for food safety. Summary of the annual symposium (02/12/2022) of the Scientific Committee established at the Federal Agency for the Safety of the Food Chain (FASFC)

Xavier Van Huffel, Axel Mauroy, Philippe Delahaut and Olivier Wilmart

Doctoraatsonderzoek in de kijker –Recherche doctorale à l’honneur Mycotoxinen

een aanleiding tot het ontwikkelen van kanker?

33

Liesel Claeys, Marthe De Boevre, Sarah De Saeger, Michael Korenjak, Jiri Zavadil en Inge Huybrechts

Adviezen – Avis

Une sélection des avis émis par le Comité scientifique institué auprès de l’AFSCA en 2022 (2e semestre) 36

Axel Mauroy

Wetgeving – Législation

Nieuwigheden in de Belgische en Europese

Inhoudsopgave
Table des matières Editoriaal Avant-propos
2
16
21
BRCGS Food versie 9 – De belangrijkste wijzigingen voor u belicht 27
Michael Gore
onze voeding:
in
wetgeving met betrekking tot de voedselketen Periode 1 oktober 2022 tot en met 31 december 2022 44 Dominique Devos
FOOD SCIENCE 2023/1 &LAW

Karen Verstraete (ILVO), Siegfried Vlaeminck (UAntwerpen, CAPTURE), Geert Van Royen (ILVO), Nele Ameloot (UGent) en Hendrik Waegeman (BBEPP)

Fermentatiegebaseerde eiwitten ontwikkelen, produceren en verwerken tot food, feed en fijnchemicaliën

Samenvatting

In de transitie naar een duurzamer voedselsysteem is microbieel eiwit aan een stevige opmars bezig. Micro-organismes kunnen via fermentatie twee types eiwitten produceren, namelijk biomassa-eiwitten en precisie-eiwitten. De productie van biomassa-eiwitten, ook wel ‘single-cell proteins’ genaamd, houdt in dat de volledige biomassa, rijk aan eiwitten, afgeoogst wordt. Daarnaast bestaan er ook precisie-eiwitten. Via genetische modificatie kan een micro-organisme ertoe worden aangezet om een welbepaald eiwit aan te maken. Na opzuivering kunnen deze eiwitten voedingswaarde, smaak en kleur toebrengen in vlees-, vis- en kaasanalogen. Ook enzymen of additieven met andere functionaliteiten kunnen via precisiefermentatie worden gemaakt.

Ecologische duurzaamheid is dé drijfveer voor deze innovatie, vanwege de lage broeikasgasemissies en het beperkt water- en landgebruik ten opzichte van dierlijke producten. Bovendien kan het helpen om kringlopen te sluiten door het gebruik van neven- en reststromen uit de agrovoeding en emissies uit de industrie (bv. CO2). Zo kan het bijdragen tot een duurzamere voedselproductie voor de toenemende globale eiwitvraag.

De ontwikkeling en industriële implementatie van microbiële eiwitproductie en de verwerking van de producten hebben in de meeste gevallen nog een uitgebreid ontwikkelingstraject af te leggen. Dit houdt grote uitdagingen in die in dit artikel geschetst worden. In de Gentse regio is een uniek ecosysteem aanwezig van onderzoekscentra, ontwikkelaars, pilootfaciliteiten en producenten die werken rond microbiële eiwitten. Al deze spelers samen overspannen de ganse keten van microorganisme tot afgewerkt voedings- of voederproduct. Via de oprichting van The ProteInn Club (met UGent, CAPTURE, Bio Base Europe Pilot Plant en ILVO als initiatiefnemers) bundelen zij hun krachten om deze veelbelovende technologie(ën) versneld te ontwikkelen en uit te rollen in een daadwerkelijke industriële productie van nuttige toepassingen.

Résumé

Dans le cadre de la transition vers un système alimentaire plus durable, les protéines microbiennes gagnent du terrain. Les micro-organismes peuvent produire deux types de protéines par fermentation, à savoir des protéines de biomasse et des protéines de précision. La production de protéines de biomasse, également appelées protéines unicellulaires, implique la récolte de la totalité de la biomasse, riche en protéines. Par ailleurs, il existe également des protéines de précision. Par modification génétique, un micro-organisme peut également être amené à produire une protéine spécifique. Après purification, ces protéines peuvent ajouter une valeur nutritionnelle, une saveur et une couleur aux analogues de viande, de poisson et de fromage. Des enzymes ou des additifs présentant d’autres propriétés peuvent également être obtenus par fermentation de précision.

Artikel - Article 2

La durabilité écologique est le moteur de cette innovation, en raison des faibles émissions de gaz à effet de serre et de l’utilisation limitée d’eau et de terres qu’elle implique par rapport aux produits d’origine animale. En outre, elle peut permettre de compléter les cycles en utilisant les sous-produits et les résidus de l’agroalimentaire et les émissions de l’industrie (par exemple, le CO2). Elle peut ainsi contribuer à une production alimentaire plus durable pour répondre à la demande mondiale croissante en protéines.

Dans la plupart des cas, le développement et la mise en œuvre industrielle de la production de protéines microbiennes, ainsi que le traitement des produits ont encore un long chemin à parcourir. Cela implique des défis majeurs, qui sont exposés dans cet article. La région gantoise possède un écosystème unique de centres de recherche, de développeurs, d’installations pilotes et de producteurs travaillant sur les protéines microbiennes. Tous ces acteurs couvrent l’ensemble de la chaîne, du micro-organisme au produit fini destiné à l’alimentation humaine ou animale. Grâce à la création de The ProteInn Club (une initiative de l’UGent, CAPTURE, Bio Base Europe Pilot Plant et ILVO), ils unissent leurs forces pour accélérer le développement de ces technologies prometteuses et pour les déployer dans la production industrielle réelle d’applications utiles.

Inleiding

Micro-organismen doen steeds meer hun intrede in de voedingsketen en hun aandeel stijgt wereldwijd. Er wordt voorzien dat ze een substantieel deel van ons voedsel- en voedersysteem zullen vormen1. Via microbiële fermentatie kan men eiwitten produceren die dienst kunnen doen als voedzame biomassa, enzymen, additieven (voor food/feed) en smaakstoffen, maar evenzeer als fijnchemicaliën. Daarmee kunnen heel efficiënt en gecontroleerd resten uit de agro- en voedingssector of industriële nevenstromen worden omgezet tot hoogwaardige eiwitten.

In een dergelijk productieproces staat een precies afgeregelde en nauw opgevolgde bioreactor centraal, alsook het microorganisme dat een bacterie, microalg, gist of schimmel kan zijn. Het micro-organisme kan een natuurlijke stam zijn (nonGMM) of een genetisch gemodificeerd micro-organisme (GMM).

Waarom inzetten op microbieel eiwit?

Ecologische duurzaamheid is dé drijfveer voor deze innovatie. Naast het stijgend aantal mensen, groeit ook de gemiddelde levensstandaard, wat de vraag naar hoogwaardige eiwitten verder verhoogt. Microbieel eiwit is hoogwaardig, maar heeft typisch een lagere milieu-impact dan dierlijke eiwitbronnen zoals vlees. Enerzijds biedt microbieel eiwit een zeer hoge

conversie-efficiëntie vergeleken met de vleesproductie: vertrekkend van laagwaardige en globaal overvloedig beschikbare grondstoffen zoals rest- en nevenstromen van de agrovoedingsindustrie en industriële emissies – zoals CO2 – komen we uit bij hoogwaardige componenten. Hierin liggen kansen om de broeikasgasemissies te reduceren, maar ook om het watergebruik en de inname van ruimte beter te beheersen met minder stikstof- en fosforemissies naar de omgeving, terwijl toch aan de groeiende mondiale eiwitvraag wordt voldaan. De productie van microbieel eiwit kan op termijn de import van eiwit voor diervoeder, zoals bijvoorbeeld soja of vismeel, helpen beperken omdat eiwitten lokaal geproduceerd kunnen worden. Microbiële eiwitproductie draagt bijgevolg bij tot een meer onafhankelijke, circulaire en biogebaseerde economie. Aan de exploitatie zijn evenwel nog uitdagingen verbonden, waar we in dit artikel dieper op ingaan.

Biomassafermentatie versus precisiefermentatie

We kunnen twee verschillende systemen onderscheiden, gebaseerd op enerzijds verschillen in de genetische aanpak van micro-organismen en anderzijds de vorm en zuiverheid van het product.

Bij biomassafermentatie wordt het micro-organisme zelf geoogst dat rijk is aan eiwitten. Het resultaat is single-cell protein (SCP). Een voorbeeld is de gekende vleesvervanger van het merk Quorn die als ‘mycoproteïne’ bestaat uit bio-

1 The Good Food Institute, State of the industry report. Fermentation: meat, seafood, eggs and dairy, 2021.

FOOD SCIENCE 2023/1 &LAW 3

massa van de filamenteuse schimmel Fusarium venenatum Die werd in 1967 als natuurlijk isolaat uit de bodem opgepikt en in 1985 op de Britse markt gebracht door Marlow Foods. Aan de marktintroductie ging een tien jaar durende risicoanalyse vooraf.

– Bij precisiefermentatie wordt het micro-organisme gebruikt om een specifiek eiwit af te scheiden dat identiek is aan een dierlijk eiwit. Concrete voorbeelden hiervan zijn melkeiwit, collageen of myoglobine die de rode kleur en smaak van vlees veroorzaakt. Hierbij is het noodzakelijk te werken met een genetisch gemodificeerd micro-organisme om het eiwit aan te maken, en dit in hoge hoeveelheden uit te scheiden, waarna het opgezuiverd wordt vanuit de kweekvloeistof.

Het ecosysteem van The ProteInn Club

In de regio rond Gent ontwikkelt zich al een tijdlang een vrij uniek ecosysteem aan bedrijven, onderzoekscentra en pilootfaciliteiten die werken met fermentatiegebaseerde eiwitten. De initiatiefnemers – UGent, CAPTURE, Bio Base Europe Pilot Plant en ILVO – en de 31 leden van de Industrial Sounding Board willen de veelbelovende technologie(ën) versneld ontwikkelen en zien uitrollen in een daadwerkelijke industriële productie van nuttige toepassingen. Dit doen ze door partners samen te brengen, kennis te delen en projecten te initiëren. Samen zoeken ze naar oplossingen voor uitdagingen en antwoorden op de volgende vragen. Hoe vormen we nieuwe productieketens van ruwe grondstof tot afgewerkt product? Hoe ontwikkelen we gezonde en lekkere producten? Welke wetgeving is van toepassing?

De initiatiefnemers van The ProteInn Club staan de bedrijven bij vanaf de groei van ideeën naar de conceptfase (TRL 1), over de piloot- en demofase tot de uiteindelijke implementatiefase (TRL 9). Hun expertisedomeinen zijn complementair:

– UGent doet fundamenteel en toegepast onderzoek naar verschillende aspecten in de waardeketen van fermentatiegebaseerde eiwitten. Synthetische biologie, microbiële technologie, chemische procestechnologie, aquacultuur, veevoeder- en voedingstechnologie zijn enkele domeinen waarin UGent wereldwijd een pioniersrol speelt. UGent wil actief meebouwen aan kennisgebaseerde ecosystemen in haar omgeving (Nele.Ameloot@UGent.be, Simon.DeCorte@UGent.be).

CAPTURE (https://capture-resources.be) is een strategisch samenwerkingsverband tussen onderzoekers van UGent, Universiteit Antwerpen, VUB en VITO rond het gebruik van secundaire grondstoffen (bijproducten, neven- en afvalstromen). Water en CO2 zijn twee belangrijke domeinen

bij CAPTURE, alwaar de technologen processen voor de productie van microbieel eiwit op basis van grondstoffen gerecupereerd of afgeleid uit afvalwater en CO2 ontwikkelen. Samenwerking en waardeketendenken zijn sleutelprincipes van CAPTURE om tot geïntegreerde oplossingen voor de circulaire economie te komen (Siegfried.Vlaeminck@UAntwerpen.be).

Bio Base Europe Pilot Plant (BBEPP; www.bbeu.org) is een onafhankelijke multifunctionele pilootfaciliteit die zich specifiek toelegt op de procesontwikkeling, opschaling en proefproductie van biogebaseerde producten en processen. BBEPP werd opgericht in 2008 en is gevestigd in Gent. Het is een dienstverlener die zich heeft ontwikkeld tot dé wereldwijde referentie voor de opschaling van biogebaseerde innovaties en telt momenteel meer dan 170 medewerkers. Bijna de helft van de in 2022 uitgevoerde pilootproeven richtte zich op de productie van microbiële eiwitten. Daarnaast heeft BBEPP ook een interne onderzoeksgroep die zich focust op de productie van microbiële eiwitten uit CO2 en nevenstromen van de voedingsindustrie (hendrik.waegeman@bbeu.org).

– ILVO is het Vlaams Instituut voor Landbouw-, Visserij- en Voedingsonderzoek. Met 730 medewerkers verricht het praktijkgericht onderzoek rond maatschappelijke uitdagingen met betrekking tot voeding en biogebaseerde processen. De Food Pilot (www.foodpilot.be) wordt er samen met Flanders’ FOOD uitgebaat. Het is een pilootfaciliteit met voedingsverwerkingsmachines en labo’s. De Food Pilot begeleidt bedrijven in de ontwikkeling van nieuwe producten, de verbetering van processen en de bepaling van houdbaarheid, smaak, allergenen en duurzaamheid. Daarbovenop ondersteunt ILVO voederproeven voor vee en aquacultuur (Geert.VanRoyen@ilvo.vlaanderen.be).

Het proces van grondstof tot afgewerkt product vereist een valorisatieketen van zeer uiteenlopende spelers. Zij vormen de leden van de Industrial Sounding Board. Dit zijn met name leveranciers, ontwikkelaars, ingenieursbureaus en producenten van verschillende schakels in de mogelijke keten(s):

- Producenten/leveranciers van grondstoffen en nevenstromen rijk aan koolstof, stikstof, fosfor, …;

- Biotechbedrijven of experts die de juiste microbiële stam(men) selecteren;

- Leveranciers van infrastructurele processen en technologieën voor fermentatie, downstream processing (DSP) en verdere verwerking, en bijhorende sturing/automatisering;

- Ingenieursbureaus en aannemers voor het detailontwerp en de bouw van nieuwe grootschalige productie-installaties;

Artikel - Article 4

- Verdelers van geproduceerd materiaal;

- Producenten van food, feed, cosmeticaproducten en chemicaliën;

- Verdere distributeurs en professionele of particuliere eindklanten.

Wil je ook betrokken worden in dit uniek ecosysteem? Contacteer Stef Denayer (Stef.Denayer@bbeu.org).

Pioniersbedrijven in België en de Gentse havenregio

Hierbij een greep uit de bedrijven.

Biolynx is een Gents biotechbedrijf met vijf werknemers, gespecialiseerd in fermentatieprocessen, voornamelijk op basis van schimmels. Ze werken microbiële oplossingen op maat uit voor industriële klanten met duurzame toepassingen in food, feed, biochemicals en milieutechniek. De nadruk ligt op inhouse lab scale ontwikkeling en op industriële procesoptimalisatie, via de valorisatie van nevenstromen. Zo ontwikkelden ze een mycoproteïne die verwerkt wordt in garnalenvoeder. Dit waardevol eiwitproduct lieten ze groeien op nevenstromen uit de agro-industrie, die anders als afval beschouwd werden. Daarnaast is Biolynx onder andere R&D-partner in de realisaties van  Naplasol (producent van vlees-/visanalogen) en  Bolder Foods (producent van een kaasanaloog). De vestiging in Gent beschikt over een state-of-the-artlabo met twintig fermentoren van 250 milliliter tot 20 liter en bijhorende analyseapparatuur.

Naplasol werd in 2019 opgericht binnen de VEOS-groep. Het telt reeds een tiental werknemers en is de producent van een mycoproteïne, het mycelium van een (filamenteuse) schimmel. Voor de ontwikkeling van het fermentatieproces werd er samengewerkt met het Vlaamse biotechbedrijf Biolynx. Naplasol investeerde in een eigen pilootfaciliteit en productiesite in Bree die op termijn 150.000 ton mycoproteïne per jaar zal afleveren. Door te werken met verschillende schimmelstammen, worden producten met een verschillende structuur verkregen die bovendien smaakneutraal en eiwit- en vezelrijk zijn. De eerste vleesanalogen (burgers, worsten, nuggets, gehakt en charcuterie) en visanalogen (tonijnanaloog, sticks, burgers) worden medio 2023 in de winkelrekken verwacht. Het resultaat zijn nieuwe, smaakvolle plantaardige producten, nutritioneel rijk, allergeenvrij en bovendien lokaal en duurzaam geproduceerd.

Productieplant Naplasol

Avecom is een Gents biotechbedrijf (KMO met meer dan tien werknemers) dat in 1995 werd opgericht als een spin-off van de UGent. Het is gespecialiseerd in de ontwikkeling en sturing van microbiële processen. Ze produceren een gamma aan microbiële culturen en nutriënten en werken samen met academische en industriële partners in innovatietrajecten. Avecom beschikt over eigen labo’s, pilootopstellingen en FCA-gecertificeerde infrastructuur voor (kleinschalige) contract manufacturing. Promic is hun (gepatenteerd) proces dat via ‘mixed cultures’ reststromen uit de agrovoeding omzet naar singlecell protein of microbieel eiwit voor de toepassing ervan als food, feed, biopolymeren, groenbemester en pigmenten. Sinds 2020 is het microbieel eiwit op de markt als voeder. Daarnaast is ValProMic een single-cell protein geproduceerd uit proceswater uit de aardappelverwerking. Partners zijn Agristo, Clarebout en Akwadok. ValProMic werd reeds uitgebreid getest in de aquacultuur als een meer duurzame vismeelvervanger. Tot slot is met Power to Protein, in samenwerking met KWR en Allied Waters, een uiterst duurzaam biomassafermentatieproces in ontwikkeling dat gebruik maakt van groene waterstof en zuurstof – gegenereerd door elektrolyse van water met groene energie – en gerecupereerde CO2

Enough is een Schotse voedingsproducent, recent gevestigd in Sas van Gent (Nederland) op de site van Cargill. De bouw startte in september 2021, de productie ongeveer een jaar later. In 2023 wordt reeds een productiecapaciteit van 10.000 ton voorzien, die verder zal stijgen naar 50.000 ton. Het microorganisme is de schimmel Fusarium, die gevoed wordt met glucose van Cargill. Op termijn wordt gekeken om te schakelen naar reststromen van Cargill. Het product is een mycoproteïne genaamd Abunda, die onder meer door Unilever wordt verwerkt in voedingsproducten.

FOOD SCIENCE 2023/1 &LAW 5

Paleo is een foodtech start-up die erin geslaagd is om het dierlijke vleeseiwit ‘myoglobine’ via precisiefermentatie te produceren in de gist Pichia pastoris, zonder recombinant DNA in het finale product Het finale product is dus GMO-vrij, wat cruciaal is voor de Europese markt. Myoglobine bevat heem dat niet alleen verantwoordelijk is voor de rode kleur en smaak van vlees, maar ook voor een goede opname van ijzer door het lichaam. Het is bedoeld om vlees- en visanalogen, bijvoorbeeld op basis van soja, de beleving te geven van echt vlees of vis, vrij van dierenleed en met een lagere impact op het milieu. Het ingrediënt zal, na het doorlopen van de Novel Food procedure, beschikbaar zijn voor producenten van vegetarische producten. Voor de VS en enkele Aziatische landen zal dat sneller zijn dan voor Europa.

Those Vegan Cowboys (NewMilkLab) is een start-up (KMO met 25 werknemers), opgestart in 2020 door de oprichters van De Vegetarische Slager. Het bedrijf heeft als doel om op een dierenvrije manier kaasalternatieven te ontwikkelen op basis van microbieel geproduceerde melkeiwitten en plantgebaseerde ingrediënten. Ze zijn er ondertussen in geslaagd om het melkeiwit caseïne te produceren in micro-organismen. In december 2022 maakten ze de ontwikkeling bekend van een eerste prototype kaas op basis van deze microbieel geproduceerde caseïne. Momenteel richten zij zich op de stam- en procesverbetering van de caseïneproductie, het verder ontwikkelen van de kaasbereiding en de opschaling van deze processen naar industrieel toepasbare processen die geschikt zijn voor de productie van voedingsproducten.

Het ontwikkelingstraject

Technische en systemische uitdagingen bij lage TRL (Technology Readiness Level)

Een biotechsysteem bestaat steeds uit een micro-organisme, een groeimedium met onder andere koolstof en stikstof, een energiebron en een gewenst eindproduct. Een consortium van micro-organismen die synergetisch werken is ook mogelijk. De elementen die mogelijk zijn in het systeem worden bepaald door de doelstelling en de randvoorwaarden. Zo kan de beschikbaarheid van een bron – bijvoorbeeld een reststroom, industrieel gas of organisch zuur – bepalend zijn of men moet kiezen voor gas- of vloeistoffermentatie. De doelstelling kan gefocust zijn op eigenschappen van het eindproduct, bijvoorbeeld de gewenste aminozuursamenstelling voor dierenvoeder. In ieder geval wordt gestreefd naar een bepaalde minimale titer of opbrengst vooraleer een systeem rendabel is. Ontwikkelingswerk kan jaren in beslag nemen, mede dankzij verschillende uitdagingen (zie figuur 1).

Hierbij de belangrijkste technische uitdagingen:

– Bij het gebruik van secundaire bronnen (reststromen) is het opvangen van koolstof of stikstof ter hoogte van een puntbron een uitdaging. Puntbronnen of grote uitstoters van CO2 zijn bijvoorbeeld de cement-, chemie- en metaalverwerkende industrie, terwijl de nutriënten N en P zich meer in de agrofoodketen bevinden (e.g. afvalwater, dierlijke mest, …). Indien men ze ter plekke kan capteren en gebruiken in het proces, betekent dit dat de reactor best op die locatie staat. Een alternatief is de bron omzetten naar een geconcentreerde ‘platform chemical’ die men kan transporteren.

- Article 6
Artikel
10 literfermentor bij Paleo

Figuur 1. Uitdagingen op vlak van onderzoek, ontwikkeling en innovatie in de productie van hoogwaardige, kostenefficiënte en milieuvriendelijke microbiele eiwitten (Siegfried Vlaeminck & Naïm Blansaer, Universiteit Antwerpen en CAPTURE)

– Het is een uitdaging om een volume- en energie-efficiënte bioreactortechnologie voor gas- of vloeistoffermentatie te ontwikkelen. Bovendien moet vanaf het begin rekening worden gehouden met de opschaalbaarheid van het ontwikkelde bioproces. Is het proces praktisch uit te voeren op industriële schaal en is daarvoor commerciële productieapparatuur zoals fermentoren en opzuiveringsapparatuur beschikbaar? Is de energie-input niet te hoog? Hoeveel water wordt er gebruikt? Enzovoort. Het basisprincipe bestaat erin dat een eenvoudiger proces een makkelijkere opschaling mogelijk maakt.

Uitstoot staalfabriek ArcelorMittal wordt door micro-organismen omgezet in visvoer (Nele Ameloot & Myrsini Sakarika, UGent)

Bij precisiefermentatie gaat veel ontwikkelingswerk naar de engineering van het micro-organisme. Het construct met de pathway dient te worden ingebracht in het productieorganisme, waarover verder meer. Bij single-cell protein vergt de keuze van de juiste stam aandacht, zodat deze snelgroeiend is, efficiënt feedstock omzet in eiwitrijke biomassa en heel wat gewenste eigenschappen heeft en veilig is (zie verder).

– Ook op operationeel vlak dienen voor de bioproductie tal van parameters te worden geoptimaliseerd, zoals voedingsstrategie, mengcondities, zuurtegraad, temperatuur, concentraties van beschikbare zuurstof, stikstof en andere voedingsstoffen.

– Daarnaast vormen de vereiste functionele eigenschappen van het geproduceerde eiwit een uitdaging zoals smaak en geur. Voor diervoeder zijn ze ook gerelateerd aan bijvoorbeeld een betere verteerbaarheid. Bij voedselingrediënten kan een schuimend, gelerend of waterbindend vermogen vereist zijn, of nog andere eigenschappen. Bij voedingsenzymen is de enzymactiviteit cruciaal. Een uitdaging is om het eiwit functioneel te houden tijdens de downstream processing of via deze stappen functionaliteit toe te voegen. Met betrekking tot veiligheid zijn onder andere testen nodig die aantonen dat de producten niet toxisch of allergeen zijn, elementen die ook nodig zijn voor de goedkeuring als Novel Food (zie verder).

FOOD SCIENCE 2023/1 &LAW 7

– Zoals in vele (bio)technologische disciplines is intellectual property (IP) heel belangrijk. Indien de productie van een component door een welbepaald micro-organisme (bv. productie door gist) reeds gepatenteerd is, is de enige optie om een ander micro-organisme te kiezen. Anderzijds is veel kennis en expertise te halen uit reeds verlopen patenten, in samenwerking met kennisinstellingen en publiek beschikbare kennis.

– Tot slot is het belangrijk om wetgevende en regulatorische aspecten reeds bij de start van het ontwikkelingsproces mee te nemen. Als het product onderworpen dient te worden aan een EFSA-evaluatie in het kader van de Novel Food wetgeving, bekijkt men bij de keuze van het microorganisme best al enkele aspecten. (1) Staat het al dan niet op de QPS-lijst (Qualified Presumption of Safety)? (2) Is de aanwezigheid van antimicrobiële resistentiegenen en andere genen die zorgwekkend kunnen zijn uitgesloten? (3) Beschik ik over een correcte taxonomische identificatie? Verderop in dit artikel wordt het wetgevende luik meer in detail besproken.

Belangrijke systemische uitdagingen om a priori bij feedstock-, product- en proceskeuze in acht te nemen zijn:

– Een kostenmodel is nodig om de economische duurzaamheid te kennen, rekening houdend met de grondstoffen, de productiekosten en de prijs die men ervoor wil betalen. Men dient een balans te vinden tussen de mate van ecologische duurzaamheid, de kost van de grondstoffen en de haalbare marktprijs.

– Om de ecologische voetafdruk van een waardeketen te kennen dient een levenscyclusanalyse te worden uitgevoerd. Die berekent, van grondstof tot afgewerkt en bereid product, de impact op de gezondheid van de mens, op de kwaliteit van het ecosysteem en op de natuurlijke hulpbronnen en grondstoffen. Dat is heel case specifiek, omdat bij elke stap in de waardeketen keuzes worden gemaakt die een andere impact hebben. Dit maakt het trekken van veralgemeende conclusies over het vergelijken van productiesystemen niet mogelijk. Een levenscyclusanalyse is desondanks een interessante tool om verbeterpunten bloot te leggen. Geconsolideerde data bestaan helaas niet, waardoor men genoodzaakt is om zelf accurate data te genereren en te verzamelen.

Tot slot is ook de marktacceptatie door professionele gebruikers (bv. veevoederproducent) en de eindconsument een uitdaging. Het is belangrijk om nog beter te begrijpen hoe de producten in de markt gezet kunnen worden, zodat ze beantwoorden aan een vraag van de consument.

Keuze en engineering van het micro-organisme

Qua ontwikkelingswerk is biomassafermentatie eenvoudiger dan precisiefermentatie. Men kiest immers een wild type stam, of een combinatie van meerdere natuurlijke stammen, aangezien een GMO niet is toegelaten omdat het volledige organisme inclusief zijn genetisch materiaal in het voeder of voedsel terechtkomt. De keuze voor een stam kan gelegen zijn in diens hoge productiviteit, opbrengst of gunstig aminozuurprofiel, waarbij de voorkeur wordt gegeven aan een unieke stam. Als stammen niet groeien op basis van zuurstof en organische componenten, zijn er op het vlak van de reactortechnologie voor biomassafermentatie typisch minder systemen gedemonstreerd op volle schaal (e.g. gasfermentatie op basis van waterstof), maar is de nood aan downstream processing wel beperkter. Daartegenover staat echter dat de ontwikkeling moeilijker te beschermen is met een patent. Bovendien is er nog relatief weinig geweten over consortia van micro-organismen.

Labfermentor, UGent/CAPTURE

Precisiefermentatie vergt meer ontwikkelingswerk en doet men standaard voor meer hoogwaardige eiwitten. De stamengineering en de meer uitgebreide downstream processing houden immers een extra kost in. Het micro-organisme produceert de targetmolecule niet van nature, of toch niet in voldoende hoeveelheden. Wanneer bovendien het organisme de targetmolecule niet excreteert, wordt de opzuiveringskost nog hoger en het eiwit bijgevolg nog duurder. Welk microorganisme dienen we dan te kiezen? Indien de pathway voor de targetmolecule reeds in het micro-organisme aanwezig is, kan men in dat micro-organisme verder werken op voor-

Artikel - Article 8

waarde dat er tools beschikbaar zijn om de productie te verhogen. Indien die er niet zijn, of de pathway niet aanwezig is, brengt men de pathway in een courant en robuust productieorganisme, waarvoor genetische tools voorhanden zijn. Dat zijn bijvoorbeeld de bacterie E. coli en de gisten Saccharomyces cerevisiae (bakkersgist), Pichia pastoris en Yarrowia lipolitica

Opschaling en verdere optimalisatie naar een goed werkend productiesysteem

Na het screenen, selecteren en eventueel engineeren van een geschikt micro-organisme, kan de procesoptimalisatie en opschaling worden gestart. Deze fase omvat ook een screening van het geproduceerde eiwit op geschiktheid voor de applicatie. Opschalingsinfrastructuur en expertise voor fermentatie en downstream processing is voorhanden bij de Bio Base Europe Pilot Plant (BBEPP), en voor food- en feedapplicaties in de Food Pilot, wat ontwikkelingstrajecten sterk stimuleert.

weren. Uiteraard wordt ook de functionaliteit van het eindproduct in deze fase geëvalueerd.

Om de risico’s en kosten van de procesontwikkeling zoveel mogelijk te beperken, is het belangrijk om het proces in een vroeg stadium bloot te stellen aan industriële omstandigheden en om dus in deze fase ook al rekening te houden met de opschaalbaarheid tot een rendabel en werkbaar industrieel proces. Dit gebeurt op een iteratieve manier (zie figuur 2). Tijdens het opschalingstraject terugkeren naar het laboratorium of een kleinere pilootschaal om bijvoorbeeld een verbeterd of ander micro-organisme te introduceren of om een of ander fenomeen te onderzoeken dat zich plots voordoet tijdens een productierun op grotere schaal, is soms de meest efficiënte manier om vooruit te komen. Mogelijke redenen die aanleiding kunnen geven tot een iteratie zijn onder meer een te hoge concentratie aan endotoxines tijdens het fermentatieproces, een te lage zuiverheidsgraad van het doeleiwit (door bv. onzuiverheden uit opengebroken cellen of te hoge hoeveelheden van eiwitten die mee geëxcreteerd worden), een te complex en duur opzuiveringsproces, een onstabiel proces dat in opeenvolgende runs zeer variabele opbrengsten genereert, enzovoort.

Geen opschalingstraject zonder uitdagingen

Het pad van laboratoriumprotocols, glaswerk en complexe analyses naar grootschalige apparatuur in een industriële omgeving loopt niet altijd over rozen. De redenen daarvoor kunnen van uiteenlopende aard zijn. De voornaamste uitdagingen waarmee men doorgaans tijdens een opschalingstraject geconfronteerd wordt, lijsten we hierbij op:

BBEPP beschikt over fermentoren van 2 tot 15.000 liter (op deze foto een installatie met 2 x 1.500 l en 2 x 15.000 l bioreactoren)

Procesoptimalisatie en opschaling gaan hand in hand

Tijdens de optimalisatiefase van het proces bekijkt men of het proces efficiënter, duurzamer en goedkoper gemaakt kan worden. Daarbij focust men vooral op het verhogen van de opbrengst, productiviteit en zuiverheidsgraad. Ook probeert men de kosten voor het opzuiveren van de eiwitten na fermentatie (downstream processing) zo laag mogelijk te houden en het gebruik van dure of moeilijk te verkrijgen grondstoffen te

FOOD SCIENCE 2023/1 &LAW 9
BBEPP piloot- en demoschaal opzuiveringsapparatuur (cross flow membrane filtration)

– Het behalen van een voldoende hoge titer (g/L) en productiesnelheid (g/Lh) van het targeteiwit: als de titer van het targeteiwit hoog is, is het in het algemeen eenvoudiger om een hogere zuiverheid van het eindproduct te behalen. Dit is van groot belang voor de toepassingen. Een hoge productiesnelheid en een eenvoudiger opzuiveringsproces resulteren bovendien in een goedkoper bioproces.

– De genetische stabiliteit van genetisch gemodificeerde stammen. Tijdens een fermentatieproces op grote schaal doen zich veel meer verdubbelingsstappen voor in vergelijking met een labocultivatie. We weten echter dat microorganismen bij hun vermenigvuldiging kleine mutaties ondergaan. Zo kunnen tijdens het proces minder productieve stammen ontstaan of kan, in extreme gevallen, de ingebrachte pathway zelfs volledig worden geëlimineerd.

– Bij het omschakelen van labo-omgeving naar pilootomgeving zijn de omgevingscondities anders. Door het gewicht van de vloeistofkolom meet men, in een bioreactor van bijvoorbeeld tien meter hoog, op elke hoogte gradueel een andere hydrostatische druk die helemaal onderaan uiteindelijk 1 bar bereikt. Hierdoor zijn de opgeloste zuurstof en CO2, de pH en de temperatuur niet homogeen in het vat. Dit fenomeen heeft uiteraard een invloed op de groei van het micro-organisme en kan resulteren in een lagere productie.

– Een ander effect dat op laboschaal niet zichtbaar is, is een gevolg van de verschillende capaciteit van grote fermentoren om zuurstof in oplossing te brengen. Op piloot- en productieschaal zet men bovendien extra druk op de tank om zo meer zuurstof in het systeem te krijgen, dit voor een betere groei van de micro-organismen. Wanneer de zuurstofvraag van het micro-organisme echter groter is dan de zuurstof die in oplossing kan wordt gebracht, ondervindt het micro-organisme een remming in zijn groei en eiwitproductie en moet het bioproces worden vertraagd. Men kan zich bij dit alles dan ook de vraag stellen of het proces nog economisch rendabel is.

Mogelijks moet er ook worden gesleuteld aan het medium waarmee het micro-organisme gevoed wordt. Zo is het niet ondenkbaar dat de gebruikte componenten makkelijk leverbaar zijn in kleine hoeveelheden maar dat er geen logistieke keten bestaat voor de aanvoer van grotere hoeveelheden. Of dat de gebruikte mediumcomponenten gewoon te duur zijn. Wanneer men op grotere schaal gaat werken, wordt de keuze voor een goed beschikbaar, courant en betaalbaar medium dus erg belangrijk. Een andere knoop om door te

hakken is de keuze tussen enerzijds een medium met een gedefinieerde samenstelling bestaande uit suikers, mineralen en andere zuivere moleculen of anderzijds een medium met een complexere samenstelling. Dergelijke complexe media kunnen bijvoorbeeld gistextracten bevatten, een gesproeidroogd restproduct van een gistfermentatie, die opnieuw onzekerder zijn qua continuïteit in beschikbaarheid en kwaliteit. Ten slotte moet men ook rekening houden met het feit dat de gebruikte media worden gesteriliseerd voor gebruik. Ook daar kan een verschil liggen tussen de manier waarop dit op laboratorium- of industriële schaal wordt uitgevoerd, met opnieuw een mogelijke invloed op de performantie van het bioproces.

Cocreatie tussen ontwikkelaar, pilootfaciliteit en productiebedrijf

Testen op piloot- of demonstratieschaal (van 1 tot 75.000 liter) worden bij BBEPP veelal aangevraagd door KMO’s actief in de biotechnologie, grotere bedrijven met een eigen biotech R&D-afdeling of kennisinstellingen die een biotechproces ontwikkelden op lagere TRL-schaal. Doorgaans hebben zij het innovatieve biotechproces zelf ontwikkeld op laboschaal en laten ze zich voor de opschaling begeleiden door de experten van BBEPP.

Het ontwikkelingstraject resulteert in een gefinetuned en gevalideerd protocol dat een antwoord biedt op alle moeilijke bottlenecks en dat klaar is voor proefproducties bij de potentiële producent. De productie kan gebeuren door derden, onder licentie, of kan worden uitgevoerd bij een CMO (costume manufacturing organisation). Voor precisiefermentatie zijn er wereldwijd een twintigtal productiebedrijven. Indien de volumes zeer hoog zijn, kan het ook opportuun zijn om een eigen productie-installatie te bouwen (bv. Enough in Sas van Gent waar een productie-installatie is gebouwd van 10.000 ton per jaar, die verder uitgebreid zal worden tot 50.000 ton per jaar tegen 2027).

Artikel - Article 10

Verdere verwerking tot voedsel en voeder

Opnieuw is het belangrijk om een onderscheid te maken tussen biomassafermentatie, waarbij het uitgangsmateriaal een eiwitrijke slurry is die via verwerking omgezet wordt naar een consumeerbare vorm (bv. vegetarische blokjes) of een eiwitpoeder (ingrediënt voor food of feed), en precisiefermentatie, waarbij één eiwit geproduceerd wordt (bv. caseïne, heem, collageen) dat bij toevoeging aan een vegetarisch product (burger, kaas, …) een typische smaak, textuur of uitzicht van een dierlijk product brengt.

Uitdagingen die overwonnen dienen te worden in het kader van productontwikkeling:

De functionaliteit: eiwitten zijn complexe macromoleculen, die in hun gevouwen toestand over diverse fysicochemische eigenschappen beschikken die leiden tot moleculaire interacties. Afhankelijk van de structuur van de molecule en de omgeving (pH, type ionen, ionische sterkte) geven ze textuur (verdikking of zwelling, dispersie van lucht of vet

zoals in schuim of emulsie) en stabiliteit. Die functionaliteit is sterk afhankelijk van de productie- en isolatiewijze die werd toegepast.

– De nutritionele kwaliteit: dit omvat karakterisering van zowel nutritionele als anti-nutritionele componenten. Ook de concentratie van nucleïnezuren dient voldoende laag te

FOOD SCIENCE 2023/1 &LAW 11
Figuur 2. Het opschalingstraject door de ogen van Bio Base Europe Pilot Plant: een iteratief proces!
Piloottesten in de Food Pilot om de verwerking tot voeding en voeder op punt te stellen

zijn, onder de norm van 2 % gedefinieerd door de WHO. Voor eiwitten is de aminozuursamenstelling zeer bepalend, en dan vooral de aanwezigheid van essentiële aminozuren die het lichaam niet zelf kan aanmaken. Maar of de aminozuren werkelijk opgenomen kunnen worden (biobeschikbaar zijn), wordt mee bepaald door de verteerbaarheid ervan.

De smaak: de manier waarop elk van de nieuwe eiwitten (die op een bepaalde manier werden geëxtraheerd uit de eiwitbron) presteren qua mondgevoel, geur en smaak(beïnvloeding) binnen de recepten en de bereidingsstappen is eveneens een belangrijke ontdekkingstocht. De Food Pilot analyseert smaak en geur zowel in haar gestandaardiseerd smaaklabo als chemisch via GC-MS.

Verdere verwerking van een filamenteuse schimmel

In geval van biomassafermentatie van een filamenteuse schimmel (cf. Quorn) ondergaat de slurry een hittestap om het mycelium af te doden en het nucleïnezuur (DNA en RNA) af te breken. Vervolgens wordt de massa ontwaterd om de structuur te verbeteren. Bij de meeste Quorn-producten wordt wat kippenei bijgemengd om een betere binding te krijgen bij het stoomkoken. Daarna ondergaat het een vriesbehandeling om de hyphae (myceliumdraden) te aligneren. Zo verkrijgt de resulterende mycoproteïne haar vezelachtige textuur2. In functie van de verdere bewerking tot kant-en-klare producten kunnen smaakcomponenten en andere ingrediënten worden toegevoegd.

Verdere verwerking van andere microbiële biomassa

Bij biomassafermentatie van niet-filamenteuse micro-organismen zoals voornamelijk gisten, microalgen of bacteriën, wordt een eiwitrijke pasta verkregen die in heel wat concepten gedroogd wordt, al dan niet na een pasteurisatiestap. Als de droogstap kan worden vermeden, betekent dit een aanzienlijke energie- en kostenbesparing. Eiwitpoeder of -pasta kan de basis zijn voor een eiwitdrank, vleesanaloog, eiwitreep of elk ander product. Voor het aanbrengen van een luchtige of vezelige textuur, kan het eiwit – samen met eventuele hulpstoffen – worden getextureerd via extrusie. Dit kan via natte of droge extrusie. In functie van de functionaliteit en de waarde van de eiwitfractie in de biomassa kan deze worden geëxtraheerd. Voor het bereiden van een afgewerkt voedingsproduct worden nog extra ingrediënten toegevoegd of extra verwerkingsstappen toegepast.

Verdere verwerking na precisiefermentatie

Bij precisiefermentatie wordt het medium met de eiwitten gesteriliseerd via filtratie. Het restproduct wordt afgedood en is afval. Het gewenste eiwit wordt geïsoleerd, gezuiverd en gedroogd tot eiwitpoeder. Vervolgens kan het fungeren als ingrediënt in diverse producten. Een vleesanaloog kan men bijvoorbeeld verkrijgen door een deeg te maken op basis van vezels, hydrocolloïden die water vasthouden, specerijen en het microbieel eiwit ‘heem’ dat zorgt voor de rode kleur van vlees. Een kaasanaloog kan men verkrijgen door een mix te maken van de microbiële caseïnes, vet, stremsel en startercultuur. Zo wordt de wrongel gevormd, die vervolgens gepekeld en gerijpt wordt.

Artikel - Article 12
2 T.J.A. Finnigan, Mycoprotein: Origins, Production and Properties, Woodhead Publishing Limited, 2011. Natte extrusie door middel van High Moisture Extrusie (HME) in de Food Pilot

Voedings- en voedertesten

Tot slot omvat The ProteInn Club ook partners (UGent en ILVO) die de laatste stappen van het ontwikkelingstraject kunnen uitvoeren, zoals voedertesten bij huisdieren, vissen, kippen, koeien en varkens en het meten van het effect op het darmmicrobioom met het oog op het onderzoek naar de dieren- en humane gezondheid.

Het wetgevend kader

Micro-organismen inzetten als productieorganismen is een zeer waardevolle innovatie, maar het zorgvuldig bewaken van onze voedselveiligheid is hierbij erg belangrijk. Wetgeving en regelgeving staan daar voor in. Bron voor dit hoofdstuk is het seminarie georganiseerd door The ProteInn Club, meer bepaald “Regulation and risk assessment explained: the use of production microorganisms in the agri-food chain” van 1 december 2022. Presentaties en opnames zijn op te vragen bij Karen Verstraete (Karen.verstraete@ilvo.vlaanderen.be)

Voor de Europese markt is vereist dat een productiefaciliteit in de eerste plaats een Food Management System handhaaft op de productievloer, met GHP en GMP als basis. Via een HACCP-systeem doet een bedrijf aan autocontrole. Een biosafety assessment waarborgt de veiligheid voor het milieu. Op het niveau van voeder- en voedingsproducten is de General Food Law (Verord. 178/2002) van toepassing die de producent verantwoordelijk stelt voor de productie van veilige producten. Daarnaast zijn er zeer specifieke regelgevingen uitgewerkt.

Welke wetgeving te volgen?

De Novel Food wetgeving beschrijft bijvoorbeeld hoe ‘nieuwe’ voedingsproducten en ingrediënten – niet eerder geconsumeerd vóór 13 mei 1997 – een goedkeuring kunnen bekomen (Verord. 2015/2283). Een categorie ervan is specifiek gewijd aan “foods consisting of or isolated of produced from microorganisms/fungi/algae”. Complexer is de situatie wanneer het micro-organisme genetisch gemodificeerd is. Bij aanwezigheid van het levend organisme en/of zijn genetisch materiaal in het product, is de GGO-wetgeving voor voeding en voeder (Reg. 1829/2003) van kracht. Maar indien men kan verzekeren dat het organisme en zijn genetisch materiaal afwezig zijn, kan men het pad van de Novel Food volgen. Welke wetgeving gevolgd wordt, heeft grote implicaties voor de toelating, want die beschrijft de uiteindelijke wijze van etikettering en de nodige controlemaatregelen voor het product.

Naast de Novel Food en GGO-wetgeving, zijn er ook richtlijnen voor de aanvraag tot toelating van voederadditieven (Reg. 1831/2003), voedingsadditieven (Reg. 1333/2008), voedingsenzymen (Reg. 1332/2008), smaakstoffen (Reg. 1334/2008), het gebruik van micro-organismen voor gewasbescherming (Reg. 1107/2009/283/2013) en gezondheidsclaims (Reg. 1924/2006).

Is het een Novel Food?

Om te achterhalen of de wet van toepassing is, of voor het opstellen van een dossier, kan men steeds terecht bij de FOD Volksgezondheid, dienst Novelfood Belgium. Dat kan via novelfood@health.fgov.be (contactpersoon: Isabelle Laquiere). Zeer informatief is de Informatiebrochure Novel Food op www.health.belgium.be/nl/Node/24750

Zeer nuttig zijn de leidraaddocumenten van EFSA over het opstellen van een dossier (https://www.efsa.europa.eu/en/ applications), zodat alle info zorgvuldig kan worden aangedragen voor de risicobeoordeling door EFSA.

Veevoeders gebaseerd op microbiële biomassa dienen niet te worden goedgekeurd via een specifiek dossier als er geen levende micro-organismen aanwezig zijn. Dit geldt ook voor traditionele starterculturen die niet vallen onder de Novel Food wetgeving.

Nuttige Novel Food links

Nuttig om te consulteren is de tool om te achterhalen of een product Novel Food is: https://ec.europa.eu/food/safety/novel food/novel food catalogue_en.

Tal van Novel Food producten hebben reeds een aanvraag tot goedkeuring van het Novel Food product doorlopen en verkregen. Die kunnen uitmonden in generieke goedkeuringen die door eender welke operator op de markt kunnen worden gebracht, op voorwaarde dat de gebruikscondities, etiketteringsvereisten en specificaties die vastgelegd worden in de toelating gerespecteerd worden. Evenwel, indien het toelatingsdossier essentiële wetenschappelijke gegevens bevat die beschermd zijn, is de toelating voor de aanvrager beperkt tot vijf jaar, waarna ze generiek wordt. Alle goedgekeurde Novel Foods zijn beschikbaar in de Unielijst: https://ec.europa. eu/food/safety/novel_food/authorisations/union-list-novelfoods_en

FOOD SCIENCE 2023/1 &LAW 13

Goedkeuring aanvragen van een Novel Food

Voor nog niet goedgekeurde Novel Foods kan een aanvraag worden ingediend via het e-submission systeem van de Europese Commissie: https://ec.europa.eu/food/safety/novel_ food/e-submission_en. Dit kent een verloop zoals voorgesteld in figuur 3.

– Cat. 3: fermentatieproducten met de aanwezigheid van geinactiveerde micro-organismen en hun DNA. Bijvoorbeeld biomassa verkregen als reststromen van precisiefermentatie of biomassa die gegenereerd is als hoofdstroom.

– Cat. 4: het gebruik van intacte, levende micro-organismen. Voorbeelden zijn gewasbeschermingsproducten of Novel Food met fermentatieve micro-organismen.

Voor al deze categorieën dient een microbiële/moleculaire risicobeoordeling te gebeuren (o.a. whole genome sequence analyse voor bacteriën en gisten (ook aangeraden voor schimmels) met karakterisatie van de genetische modificatie (indien van toepassing), identificatie van het microorganisme, afwezigheid van antimicrobiële resistentiegenen en andere genen die mogelijks zorgwekkend zijn, eventueel aanwezigheidsbepaling van levende cellen of DNA), een toxicologische risicobeoordeling, allergeniciteitstest en evaluatie van de technische zuiverheid op basis van het productieproces. Voor voedingsingrediënten dient daarenboven een nutritionele analyse te gebeuren. Voor producten geproduceerd door een genetisch gemodificeerd micro-organisme waarbij levende micro-organismen of DNA aanwezig is (cat. 3 en 4), dient een milieurisicobeoordeling te gebeuren die ook de kans bekijkt tot horizontale DNA-transfer naar omgevingsmicro-organismen.

Vereenvoudigde risicobeoordeling voor micro-organismen op de QPS-lijst

QPS staat voor Qualified Presumption of Safety en biedt een status van veiligheid aan micro-organismen die doelbewust gebruikt worden in voeding en voeder. Dit is een toekenning op speciesniveau (familieniveau voor virussen), wat maakt dat alle stammen die tot het species behoren ervan genieten.

Risicobeoordeling door EFSA

De elementen van de risicobeoordeling worden mee bepaald door de toepassingswijze van het micro-organisme. Hiervoor gelden vier categorieën:

Cat. 1 en 2: opzuivering van het fermentatieproduct dat leidt tot afwezigheid van het micro-organisme en DNA. Bijvoorbeeld enzymen, aminozuren, koolhydraten, vitamines, hoogwaardige eiwitten of koolhydraten zoals aanwezig in humane melk en ei. Deze producten worden vaak geproduceerd door genetisch gemodificeerde micro-organismen.

Als het micro-organisme op de lijst staat, kan de risicobeoordeling worden gereduceerd door het weglaten van de toxicologische studies. Een test met proefdieren is dan niet nodig.

Bij het oprichten van de QPS-lijst in 2007 kon men nog microorganismen op de lijst laten plaatsen, maar nadien wordt de lijst enkel aangevuld op basis van dossiers die bij EFSA toekomen.

14
Artikel - Article
Figuur 3. Verloop toelatingsprocedure Novel Food (bron: Informatiebrochure Novel Food op www.health.belgium.be/nl/ Node/24750)

GRAS-status in de VS

De QPS-status van micro-organismen wordt dikwijls verward met de GRAS (Generally recognised as safe) status die in de VS door de FDA wordt gehanteerd. Beide concepten zijn echter sterk verschillend. De GRAS-status is strikt gerelateerd aan het product dat op de markt wordt gebracht, terwijl de QPS-status enkel gerelateerd is aan het micro-organisme en dus onafhankelijk is van het product en het productieproces. De QPS-status behelst alle stammen die tot een bepaalde species/familie behoren. De GRAS-status daarentegen heeft betrekking op een welbepaalde productiestam. Terwijl de GRAS-status van een product kan worden bepaald door externen/bedrijven en enkel door de FDA wordt gereviewd, wordt de QPS-evaluatie uitsluitend door EFSA uitgevoerd.

Nuttige links

EFSA CEP Panel, “Scientific Guidance for the submission of dossiers on Food Enzymes”, EFSA Journal 2021, 19(10): 6851, https://doi.org/10.2903/j.efsa.2021.6851.

– EFSA (European Food Safety Authority), “Guidance on the characterisation of microorganisms used as feed additives or as production organisms”, EFSA Journal 2018, 16(3): 5206, https://doi.org/10.2903/j.efsa.2018.5206.

– “EFSA statement on the requirements for whole genome sequence analysis of microorganisms intentionally used in the food chain”, EFSA Journal 2021, 19(7): 6506, https://doi. org/10.2903/j.efsa.2021.6506

– “EFSA guidance on the risk assessment of genetically modified microorganisms and their products intended for food and feed use”, EFSA Journal 2011, 9(6): 2193, https://www. efsa.europa.eu/en/efsajournal/pub/2193

– The topic on QPS: https://www.efsa.europa.eu/en/topics/ topic/qualified-presumption-safety-qps.

– The QPS list in Knowledge Junction Zenodo: https://doi. org/10.5281/zenodo.1146566.

– The notification list in Knowledge Junction Zenodo: https://doi.org/10.5281/zenodo.3607183.

– EFSA Journal virtual issue on QPS: https://efsa.onlinelibrary. wiley.com/doi/toc/10.1002/(ISSN)1831-4732.QPS

Conclusie

Microbieel eiwit biedt een groot potentieel. Alle troeven zijn aanwezig om ervoor te zorgen dat onze regio uitgroeit tot een kennis-, expertise- en bedrijvencluster op wereldniveau. Om dit ten volle te ontplooien, dienen heel wat technische, systemische en regulatorische uitdagingen te worden aangegaan. Daarom is een platform als The ProteInn Club essentieel.

FOOD SCIENCE 2023/1 &LAW 15

Artikel - Article

Kim Feys 1 , Nadine Botteldoorn 2 , Vera Cantaert 1 , Lieven De Zutter 3, *, Véronique Delcenserie 4 , Annemie Geeraerd Ameryckx 5, *, Jacques Mahillon 6 , Marcella Mori 7, *, Brigitte Pochet 1 , Nancy Roosens 7, *, Koenraad Van Hoorde 7, *, Bavo Verhaegen 7 en Lieve Herman 8, *

Whole genome sequencing en voedselveiligheid in België

Samenvatting

De aanwezigheid van ziekteverwekkende micro-organismen in levensmiddelen is een blijvend aandachtspunt bij het bewaken van de voedselveiligheid. Het is belangrijk om de bron van voedselgebonden ziektes snel op te sporen en uitbraken zoveel mogelijk te voorkomen. Whole Genome Sequencing (WGS) biedt nieuwe mogelijkheden om informatie over deze micro-organismen te verzamelen en uit te wisselen. In de toekomst zal WGS de voorkeursmethode worden voor bacterieel voedselveiligheidsonderzoek, door zijn hoog discriminerend vermogen en het verdwijnen van verschillende oudere typeringsmethoden op internationaal niveau. Ondanks het feit dat de WGS-methoden en de pipelines voor data-analyse nog voortdurend evolueren en verbeteren, is WGS klaar om te worden gebruikt bij routinematig uitbraakonderzoek en monitoringactiviteiten. Het Wetenschappelijk Comité ingesteld bij het FAVV (SciCom) heeft gereflecteerd over de toepassing van WGS in de Belgische context en heeft hierover op eigen initiatief een advies uitgebracht. Het FAVV heeft de intentie om in de toekomst WGS ook routinematig te gebruiken voor het proactief opsporen van clusters in de voedselketen.

Résumé

La présence de micro-organismes pathogènes dans les aliments est une préoccupation constante lors du contrôle de la sécurité alimentaire. Il est important de détecter rapidement la source des maladies d’origine alimentaire et de prévenir les épidémies autant que possible. Le séquençage du génome entier (ou WGS, pour Whole Genome Sequencing) offre de nouvelles possibilités de collecter et d’échanger des informations sur ces micro-organismes. À l’avenir, le WGS deviendra la méthode de choix pour la recherche sur la sécurité alimentaire bactérienne, en raison de son pouvoir discriminatoire élevé et de la disparition de plusieurs anciennes méthodes de typage au niveau international. Bien que les méthodes WGS et les pipelines d’analyse des données soient encore en constante évolution et amélioration, le WGS est prêt à être utilisé dans les enquêtes de routine sur les épidémies et les activités de surveillance. Le Comité scientifique institué auprès de l’AFSCA (SciCom) a réfléchi à l’application du WGS dans le contexte belge et a émis un avis de sa propre initiative. À l’avenir, l’AFSCA a l’intention d’utiliser également le WGS de manière routinière pour la détection proactive de clusters dans la chaîne alimentaire.

1 Federaal Agentschap voor de Veiligheid van de Voedselketen (FAVV).

2 Dierengezondheid Vlaanderen (DGZ).

3 Universiteit Gent.

4 Université de Liège.

5 KU Leuven.

6 Université catholique de Louvain.

7 Sciensano.

8 Instituut voor Landbouw-, Visserij- en Voedingsonderzoek (ILVO).

* Wetenschappelijk Comité ingesteld bij het FAVV (SciCom).

16

Whole genome sequencing

Alle organismen (bacteriën, planten, dieren) hebben een unieke genetische code, die bestaat uit nucleotidebasen (A, T, C en G). De volgorde van de basen in een organisme levert een unieke DNA-vingerafdruk op, die gebruikt kan worden om het organisme te identificeren. Het bepalen van de volledige volgorde van de basen, ook wel sequentiebepaling genoemd, kan gebeuren door middel van whole genome sequencing (WGS). WGS wordt uitgevoerd in twee processen: 1) een eerste “wetlab” deel toegespitst op de selectie van isolaten, DNA-extractie, voorbereiding van de library9 en sequencing om ruwe sequentiegegevens te genereren; 2) een tweede “dry-lab” deel waar verschillende bio-informaticatools worden gebruikt voor kwaliteitscontrole, voor de assemblage van het genoom en voor verdere analyse (zie figuur 1). WGS kan worden gebruikt voor diverse doeleinden waaronder het aantonen van verwantschap van stammen bij uitbraakonderzoek en de screening op genen geassocieerd met virulentie en pathogeniciteit.

Figuur 1. Een overzicht van een typische analyse pipeline voor bacteriële sequentiegegevens (aangepast uit Vilne et al , 2019). De witte kaders staan voor de verschillende hoofdstukken binnen het advies (SciCom, 2021) betreffende de wetenschappelijke achtergrond van whole genome sequencing in relatie tot bacteriële voedselveiligheid.

WGS en voedselveiligheid

In het kader van voedselveiligheid kan WGS worden aangewend voor de bepaling van de volledige genoomsequentie van een bacterieel isolaat. WGS biedt nieuwe mogelijkheden voor de identificatie van de oorzaken van voedselgebonden infecties en intoxicaties, de genotypische karakterisering van antimicrobiële resistentie (AMR), de bepaling van de virulentie, de serotypering van pathogenen en de gestandaardiseerde uitwisseling van gegevens. Naast de voordelen moet nog rekening worden gehouden met een aantal beperkingen en uitdagingen alvorens tot een routinematige en uniforme toepassing kan worden overgegaan.

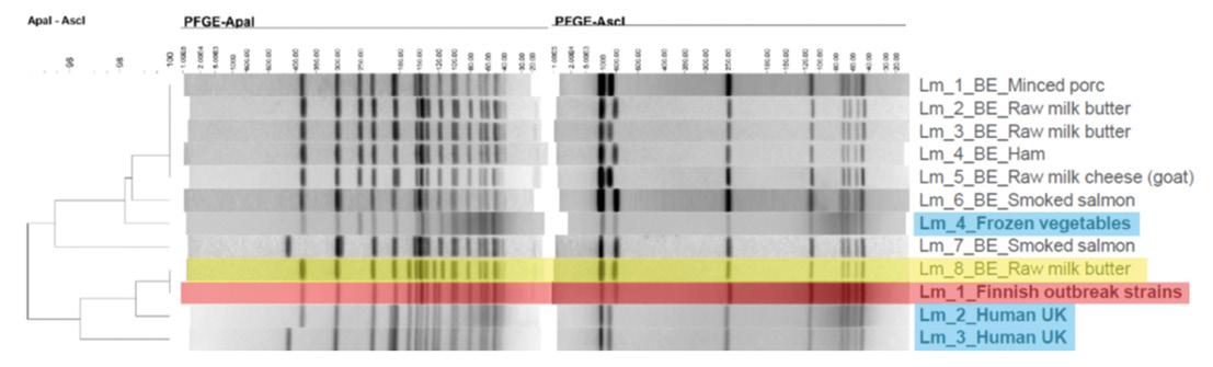
Ter illustratie, voor een Belgisch L. monocytogenes isolaat afkomstig uit rauwmelkse boter werd de link met een internationale uitbraak onderzocht op basis van een klassieke methode (figuur 2A) en op basis van WGS (figuur 2B). Aan de hand van de resultaten met de klassieke methode lijkt het isolaat te behoren tot de uitbraakcluster. De WGS-analyse toonde echter verschillen aan tussen het Belgische isolaat en de isolaten betrokken bij de uitbraak. WGS kan dus door zijn hoog discriminerend vermogen een meerwaarde betekenen in een uitbraakonderzoek.

FOOD SCIENCE 2023/1 &LAW 17
9 Library: een set amplificeerbare sequentiefragmenten, verkregen uit het oorspronkelijke doel-DNA dat gesequeneerd moet worden.
Artikel - Article 18 A B
Figuur 2. Resultaten van een uitbraakonderzoek op basis van Pulsed Field Gel Elektroforese (A) en Whole Genome Sequencing (B) (Verhaegen, 2022)

Advies Wetenschappelijk Comité

Het Wetenschappelijk Comité ingesteld bij het FAVV (SciCom) heeft op eigen initiatief een advies uitgebracht over WGS op bacteriën (SciCom, 2021). “Metagenomics”, waarbij DNAsequenties worden bepaald vertrekkende vanuit een biologisch monster, dat meerdere micro-organismen kan bevatten, valt niet binnen de scope van dit advies. Dit advies behandelt WGS, waarbij de DNA-sequentie van het genoom van een organisme wordt bepaald vertrekkend vanuit een isolaat. Virussen, hoewel ook van belang voor voedselgebonden infecties, vallen buiten de scope. Dit advies geeft achtergrondinformatie over WGS waarbij de technologie gesitueerd wordt in de bredere context van andere bacteriële en moleculaire methoden. Daarnaast wordt gereflecteerd over de toepassing van WGS in de Belgische context en worden in dit kader aanbevelingen gedaan. In het advies worden de volgende referentietermen behandeld, met een focus op de Belgische context:

1. De voordelen van het gebruik van WGS voor uitbraakonderzoek;

2. De voordelen van het gebruik van WGS voor bacteriële risico-evaluatie in het kader van voedselveiligheid;

3. Interpretatie van de link tussen gecontamineerd voedsel, menselijke infecties en de bron van de contaminatie in de voedselketen;

4. Aanbevelingen voor de (verdere) implementatie van WGS voor het beheer van de voedselveiligheid in België;

5. Validatie van WGS-methodologie: belang, huidige status en verwachte evoluties;

6. Vereisten – technisch en organisatorisch – om WGS-data te delen in het kader van voedselveiligheid.

Overschakeling naar WGS in de toekomst

Het wordt aanbevolen om in België over te schakelen op WGS voor de analyse van voedselgerelateerde bacteriële isolaten in de (nabije) toekomst. WGS zal de voorkeursmethode worden voor bacterieel voedselveiligheidsonderzoek, door zijn hoog discriminerend vermogen en het verdwijnen van verschillende oudere typeringsmethoden op internationaal niveau. Bovendien kunnen AMR-gegevens worden verkregen uit dezelfde WGS-gegevens die voor typering, bronbepaling en uitbraakonderzoek worden gebruikt. Deze AMR-gegevens kunnen fenotypische gegevens aanvullen met extra informatie over de genetische merkers en kunnen retrospectief worden gescreend. Er kan een overgangsperiode worden ingebouwd, zodat de laboratoria kunnen investeren in geschikte infra-

structuur, de nodige technische deskundigheid kunnen verwerven, een gestandaardiseerde flow voor de uitvoering van de WGS-methode kunnen opzetten die kan worden gevalideerd en ervaring kunnen opdoen.

Op punt stellen van de WGS-technologie

Het wordt aanbevolen om het proces van standaardisatie en validatie van de WGS-methodologie blijvend te actualiseren en verbeteren en dit zowel voor het “wet-lab” als voor het “drylab” gedeelte. Er wordt aangeraden om de op WGS gebaseerde resultaten zorgvuldig te documenteren met voldoende metadata, zodat, ook wanneer databanken worden bijgewerkt, geen informatie verloren gaat en de traceerbaarheid tot de voedselbron of de exploitant van het levensmiddelenbedrijf gewaarborgd blijft.

Interpretatie van WGS-data

Het wordt aanbevolen dat de op WGS gebaseerde resultaten betreffende de vergelijking van stammen bij uitbraakonderzoek geïnterpreteerd worden door een multidisciplinair team (microbiologen, moleculaire biologen, bio-informatici, epidemiologen) met voldoende expertise. De van WGS afkomstige gegevens moeten worden gecombineerd met metagegevens die informatief zijn voor de epidemiologische interpretatie van de uitbraak.

Om een doeltreffende gevalsdefinitie (bv. drempelwaarde) op basis van WGS te kunnen vaststellen, moeten bovendien WGSgegevens over de circulerende stammen beschikbaar zijn. Dit zal een populatie opleveren aan de hand waarvan clusters van potentiële uitbraakstammen kunnen worden beoordeeld.

WGS-data delen

Het delen van WGS-data kan gebeuren door het centraliseren van de data op nationaal niveau of (direct) internationaal op Europees niveau. Op Belgisch niveau zal zowel voor de humane klinische data als voor de agrovoedingsdata een nieuwe infrastructuur moeten worden uitgebouwd. Sinds juni 2022 is de gezamenlijke Europese databank operationeel waarbij communicatie is voorzien tussen de WGS-databank van de EFSA (isolaten van agrovoedingsproducten) en TESSy van het ECDC (klinische isolaten van mensen).

FOOD SCIENCE 2023/1 &LAW 19

Er moeten afspraken worden gemaakt over welke (delen van de) gegevens zullen worden gedeeld en hoe deze kunnen worden gebruikt. Ook de kwestie van de eigendomsrechten van de gegevens moet worden aangepakt. Voorts moeten er afspraken worden gemaakt over de minimuminformatie aan metadata die in de databank moet worden opgenomen.

Persistente stammen in de omgeving

Om uitbraken te voorkomen, vooral van pathogenen waarvan bekend is dat zij in de voedselverwerkingsomgeving kunnen overleven (bv. L. monocytogenes en Salmonella spp.), wordt aanbevolen om de aanwezigheid ervan in de voedselverwerkingsomgeving te onderzoeken en het reinigings- en ontsmettingsproces op te volgen.

Communicatie

Het wordt aanbevolen om waakzaam te zijn met betrekking tot de correcte interpretatie en communicatie over de verantwoordelijkheden van de verschillende actoren (bevoegde autoriteit, exploitant van een levensmiddelenbedrijf, consument) in geval van een uitbraak. In dit verband is het belangrijk te communiceren dat een nulrisico in verband met de bacteriële voedselveiligheid niet bestaat.

Visie van het FAVV

Rekening houdend met het SciCom advies heeft het FAVV gereflecteerd over de toepassing van WGS. Waar op heden WGS enkel wordt ingezet voor retrospectief onderzoek, is het de intentie om WGS in de toekomst ook routinematig te gebruiken voor het proactief opsporen van clusters in de voedselketen. WGS zal ook worden ingezet voor het antimicrobiële resistentie (AMR) beleid en kan worden gebruikt om retrospectief AMR-resistentiegenen op te sporen.

Op lange termijn kan WGS in principe klassieke methodieken, voor onder andere serotypering, vervangen. Echter, volgens de wetgeving moeten bepaalde ISO/CEN-methodes of alternatieve gevalideerde methoden (cf. Verord. 2073/2005) worden gebruikt. Op dit moment is WGS nog geen gevalideerde alternatieve methode. Voorlopig wordt WGS dus uitgevoerd als een extra analyse en zal deze andere analyses niet vervangen.

Een WGS-analyse door operatoren laten uitvoeren op al hun isolaten is momenteel omwille van de kostprijs niet realistisch. Omdat operatoren momenteel ook geen verplichting hebben om isolaten te bewaren, is het niet mogelijk om retrospectief WGS-analyses uit te voeren. De evolutie van WGS en zijn gebruik in het kader van autocontrole zal uitwijzen wat haalbaar wordt in de toekomst. In geval van WGS-analyse en identificatie van clusters op isolaten van operatoren, moet het duidelijk zijn voor de laboratoria en de operatoren dat de meldingsplicht van toepassing is.

Concreet zal het FAVV in het kader van zijn controleprogramma beginnen met WGS uit te voeren op een deel van de verzamelde Listeria monocytogenes, shigatoxine producerende Escherichia coli (STEC) en Salmonella isolaten. Het FAVV zal in de toekomst dus meer gebruik maken van WGS voor de monitoring in het kader van zijn controleprogramma.

Referenties

SciCom, Advies 18-2021 van het Wetenschappelijk Comité ingesteld bij het FAVV van 22 oktober 2021 over whole genome sequencing voor de opsporing van voedselgebonden uitbraken en bacteriële risico evaluatie (SciCom 2020/08: eigen initiatief dossier). Beschikbaar online:

Advies (NL): https://www.favv-afsca.be/wetenschappelijk comite/adviezen/2021/_documents/Advies18-2021_SciCom2020-08_WGS_website.pdf;

Avis (FR): https://www.favv-afsca.be/comitescientifique/ avis/2021/_documents/Avis18-2021_SciCom2020-08_WGS_ website_001.pdf;

Opinion (ENG): https://www.favv-afsca.be/comitescientifi que/avis/2021/_documents/Avis18-2021_SciCom2020-08_ WGS_website_001.pdf.

Verordening (EG) nr. 2073/2005 van de Commissie van 15 november 2005 inzake microbiologische criteria voor levensmiddelen.

Verhaegen, B., Introductie van WGS in de levensmiddelenmicrobiologie: voordelen en uitdagingen, 26th Conference on Food Microbiology, Brussel, 13-14 oktober 2022.

Vilne, B., Meistere, I., Grantiņa-Ieviņa, L. en Ķibilds, J., “Machine learning approaches for epidemiological investigations of food-borne disease outbreaks”,  Frontiers in Microbiology 2019, 10: 1722.

Artikel - Article 20

Fraud in the food chain and consequences for food safety

Summary of the annual symposium (02/12/2022) of the Scientific Committee established at the Federal Agency for the Safety of the Food Chain (FASFC)

Samenvatting

Het jaarlijkse symposium van het onafhankelijk Wetenschappelijk Comité ingesteld bij het FAVV vond plaats op vrijdag 2 december 2022. Het heeft meer dan 350 deelnemers samengebracht die alle actoren van de voedselketen (primaire productie, agrovoedingsindustrie, distributiesector, consumentenverenigingen alsook verschillende overheden, waaronder het FAVV) vertegenwoordigen. Het thema was ‘Fraude binnen de voedselketen en de gevolgen voor voedselveiligheid’.

Het symposium was ingedeeld in 3 sessies. De 1ste sessie was gewijd aan de Europese benadering om fraude in de voedselketen op te sporen en te controleren. De 2de sessie ging over het Belgisch netwerk voor fraudebestrijding in de voedselketen en ook de mogelijkheden en beperkingen van analytische methoden voor de controle van fraude. Nieuwe hulpmiddelen werden voorgesteld voor bedrijven om zich beter tegen fraude te beschermen door meer aandacht te besteden aan het meten van de voedselintegriteit en de fraudegevoeligheid. Tijdens de 3de sessie stelden de verschillende belanghebbende partijen uit de voedselketen hun strategie voor fraudepreventie en -bestrijding voor en formuleerden ze hun behoeften en verwachtingen. Het symposium werd afgesloten met een rondetafeldiscussie.

Résumé

Organisé ce vendredi 2 décembre 2022, le symposium annuel du Comité scientifique indépendant institué auprès de l’AFSCA a rassemblé plus de 350 participants représentant tous les acteurs de la chaîne alimentaire (production primaire, industrie agroalimentaire, secteur de la distribution, associations de consommateurs ainsi que différentes autorités dont l’AFSCA) autour du thème : ‘La fraude au sein de la chaîne alimentaire et ses conséquences pour la sécurité alimentaire’.

Le symposium était divisé en 3 sessions. La 1ère session a été consacrée à l’approche européenne en matière de détection et du contrôle de la fraude dans la chaîne alimentaire. La 2ème session a évoqué le réseau belge de lutte contre la fraude dans la chaîne alimentaire et, également, les possibilités et les limites des méthodes analytiques pour le contrôle de la fraude. De nouveaux outils ont été présentés afin de permettre aux entreprises de mieux se protéger contre la fraude en accordant plus d’attention à la mesure de l’intégrité des aliments et de la vulnérabilité à la fraude. Au cours de la 3ème session, les différents acteurs de la chaîne alimentaire ont présenté leurs stratégies de prévention et de contrôle de la fraude, et ont formulé leurs besoins et leurs attentes. Le symposium s’est clôturé par une table ronde.

1 Formerly Staff direction for risk assessment, Directorate-General for Control Policy, Federal Agency for the Safety of the Food Chain.

2 Staff direction for risk assessment, Directorate-General for Control Policy, Federal Agency for the Safety of the Food Chain.

3 Vice chairman of the Scientific Committee established at the Belgian Federal Agency for the Safety of the Food Chain, former Director of the Centre d’Economie Rurale (CER Groupe).

FOOD SCIENCE 2023/1 &LAW 21

On December 2nd 2022, the Scientific Committee4, established at the Belgian Federal Agency for the Safety of the Food Chain, held its annual symposium in Brussels. More than 350 participants followed the symposium; partly live in Brussels and partly remote. The objective of the symposium was to discuss the main challenges and present tools to tackle fraud in the food chain as well as to raise awareness among operators of the importance of preventing and fighting fraud in order to avoid potential food safety risks and to maintain consumers’ confidence.

L. Herman (ILVO, chair of the Scientific Committee) introduced the theme of this symposium by referring to the difficulties of detecting and fighting fraud given the complexity of the (international) food and feed chain and the various forms fraud can consist of. Food fraud prevention and/or control is a rising issue which requires an integrated approach between different authorities, stakeholders and countries.

E. Marin (EU Commission, DG for Health and Food Safety) presented the EU Agri-Food Fraud network created after the ‘horsemeat scandal’ in 2013. Agri-food fraud is defined as “a non-compliance concerning any suspected intentional action by businesses or individuals, for the purpose of deceiving purchasers and gaining undue advantage therefrom, in violation of the rules referred to in Article 1(2) of Regulation (EU) 2017/625”. To distinguish whether a case should be considered a “non-compliance” or “suspicion of fraud”, four criteria should be regarded: violation of EU rules, deception of consumers, economic gain and intention. Different types of food fraud exist

4

such as counterfeiting (substitution of ingredients or products), adulteration (adding ingredients), dilution and mislabelling.

The EU Agri-Food Fraud network (FFN) consists of the EU Member States’ national food fraud contact points, Iceland, Norway, Switzerland and the European Commission’s Directorate-General for Health and Food Safety. It handles potential food fraud cases whether arising from a RASFF (Rapid Alert System for Food and Feed) notification or following official controls by a FFN member when there is an indication that a possible violation of food law requirements may be taking place, motivated by the prospect of economic or financial gain. The network consists of 3 pillars: administrative authorities, judicial authorities and law enforcement authorities. Its main tasks are to assist and coordinate communication between competent authorities.

The Commission carries out a weekly screening of all notifications reported in the Administrative Assistance and Cooperation (AAC) system (used for reporting cases of non-compliance that do not pose a health risk) and in the Rapid Alert System for Food and Feed (RASFF) with the aim at identifying potential intentional infringements to the EU agri-food chain legislation. The latter may indeed have remained undetected by Member States and might need an adequate coordination and follow up at European Union level. Special attention is paid to the detection and classification of clusters. Notifications are identified in iRASFF to the attention of Member States for further reaction or transferred directly to the EU Food Fraud Network for further treatment and action. Stakeholders are also informed when new or unexpected fraudulent events are detected.

The Commission services can coordinate activities at EU level. This happens when operators in several Member States are involved in a possible fraudulent scheme and when the suspicion presents either a health risk or a significant socio-economic risk. Decision criteria for such coordination at EU level take into account the seriousness of those risks, the reliability of the information available and its similarity to previous occurrences. When the suspicion is related to imported products, the Commission liaises with the concerned non-EU countries and requests targeted information and investigations.

In 2021, the EU experienced an increased number of food safety notifications in comparison to previous years. Pesticide res-

The Scientific Committee is an advisory body established at the FASFC, which provides independent scientific advice on risk assessment and risk management options in the food chain (food and feed safety, animal health and plant health). The opinions are public and published on the website of the Scientific Committee (http://www.afsca.be/scientificcommittee/opinions/).

Artikel - Article 22
About the Scientific Committee: © Adobe stock

idues were the main hazard notified, representing 27 percent of the health-related notifications. As in 2020, many notices were related to ethylene oxide. Even while being used in some Third Countries, this substance is unauthorized according to the EU regulation and led to the biggest food recall operation in EU history. Fish and fish products was the second category involved. Problems included undeclared added water in frozen pangasius fillets and shrimp and honey adulterated with sugar. Notifications involved suspected illegal treatment of tuna with carbon monoxide, nitrates and nitrites, abuse of additives like ascorbic and citric acid and labelling deficiencies. Fats and oils were the third most reported category with problems relating to marketing standards and to olive or virgin olive oil sold as ‘extra virgin’ olive oil. Meat and meat products other than poultry reports concerned forged documentation, illegal trading or exceedance of water. Another issue was the falsification of accompanying documents of meat or fishery products.

The activity of Belgium in the food fraud registration system was highlighted. Speaker congratulated the Belgian authorities for their very active contribution to the well-functioning of the FFN-system.

The Commission organizes regularly thematic coordinated control actions to establish the prevalence on the EU market of non-compliances (and of illegal practices). Results were shown related to the marketing of herbs and spices and the presence of unauthorised bamboo powder in food contact materials.

Between 2020 and 2022 a fact-finding study on Agri-Food Fraud was conducted in 8 Member States to collect information on the suitability and effective implementation of national arrangements to fight fraud along the agri-food chain in accordance with Regulation (EU) 2017/625 with a focus on article 9(2). From the report it was shown that fighting fraud in the agri-food chain requires a holistic approach. Crucial for success appeared to be a cross-sector cooperation with the involvement of the competent authorities, other law enforcement authorities and the prosecutor. Raising awareness and training of all inspectors on online and offline fraud related control aspects is needed. The goal should be the effective combination of risk-based controls to detect fraudulent and deceptive practices and intelligence-based investigations in order to effectively investigate any suspicion of an illegal activity.

One of the weaknesses in food fraud prevention and detection are the suboptimal control systems in some Third Countries and the absence of a centralized European prosecutor.

F. Ulberth (ex-EU Commission, Joint Research Centre) explained the role of the Joint Research Centre (JRC) in the EU

food fraud detection and prevention system. JRC hosts the Knowledge Centre for Food Fraud and Quality (KC-FFQ) and its main laboratories are situated in Geel (Belgium). KC-FFQ provides and shares up-to-date scientific knowledge on food fraud and food quality issues. It coordinates market surveillance activities and operates early warning and information system for food fraud. The JRC has a long-standing expertise in food science including research on authenticity of foods and expertise in development, application and validation of analytical test methods to detect fraud in the food chain.

In the last few years, non-targeted laboratory methods have increasingly come into focus. These methods do not rely on the analyses of selected individual analytes since the molecules to be detected are not known a priori, but instead aim at studying a global fingerprint that should be as comprehensive as possible.

New analytical tools such as foodomics technologies for detection of food fraud have been introduced. Foodomics employs high-resolution techniques such as mass spectrometry, nuclear magnetic resonance, and next-generation sequencing, as well as a variety of mathematical and computer tools to handle and interpret data. Fraud in herbs and spices has been investigated using an integrated omics workflow. Fraud has been detected in many herbs and spices such as turmeric, pepper, paprika/ chili, saffron, oregano and cumin.

Honey represents a particular difficult product for detection of fraud. For the moment no set of validated analytical techniques is available to investigate if honey samples comply to the EU legislation with regard to composition, authenticity and purity.

A Food Authenticity Knowledge Base (FAKB) has been created. It is an information resource on food authenticity linking food products and their potential fraud or integrity issues to appropriate analytical strategies that can be used for food fraud detection or authenticity testing. The output is a webbased tool for use by industry and regulatory authorities to identify, easily and rapidly, potential threats to a given food product or ingredient and the existing solutions. The European Wine Databank (EU Wine DB) was given as an example. It contains data on the isotopic composition of authentic wines collected from all wine producing regions across the EU over many years. It is an important tool to detect the undeclared addition of sugar before fermentation to increase alcoholic strength and addition of water. The data can also be used to assess the correctness of geographical indications. The EU wine databank is accessible to authorised users only.

FOOD SCIENCE 2023/1 &LAW 23

A Food Fraud Monthly Report is drafted by the JRC Geel. In a 5 years overview (2016 – 2021) it was shown that out of the 1029 foods registered, recurrent commodities include seafood, meat, milk, wine, oils, herbs and spices, fruits, vegetables and honey.

JRC created also THESEUS, a tool to develop, implement and apply innovative statistical methods needed by the European Anti-fraud Office (OLAF) and its partners in the Member States for the protection of the financial interests of the European Union. Statistical data mining is the core of the action in THESEUS. Dissemination of results is done through the restricted area of the website.

B. Bottex (EFSA) explained that EFSA’s role related to food fraud is limited to study food safety aspects and in particular to anticipate and prepare risk assessment on any putative emerging risks. In that regard EFSA has delivered scientific opinions on the risk of melamine in food and feed, on the risk of substitution of beef meat by horse meat, on the risk of residues of fipronil and other acaricides in chicken eggs and on the risk of adulterated beeswax.

Food frauds are important drivers of food safety emerging risks and need to be better integrated in food safety assessments. EFSA received a mandate from the EC to study the risks of beeswax adulteration. EFSA concluded that beeswax comb adulterated with stearin and palmitin affects brood development with up to 80% bee mortality rates. EFSA established purity criteria for beeswax in apiculture and recommended that analytical methods should include at least two physicochemical parameters and one or more chromatographic or spectroscopic analysis. Stearin as such and contaminants in food grade stearin are not expected to raise safety concerns for honey consumers. The presence of paraffin may increase exposure to contaminants of concern such as mineral oil saturated hydrocarbons.

EFSA recently started a project (FFraud-ER) for the development of a computational model for identifying food fraud incidents as drivers for food safety emerging risks. The overall objective of this project is to develop, establish and test a scheme for the identification and analysis of food fraud incidents as drivers for emerging risks in food and feed safety, facilitating EFSA emerging risk intelligence gathering activities. The project is based on a comprehensive review on potential data sources. Innovative tools and mechanisms allowing identifying relationship between food fraud incidents and potential food safety hazards/risks such as food chain vulnerability analysis and Early Warning Systems will be explored. The pro-

cess should offer options for regular assessment of food fraud incidents that may act as drivers for potential risks on food and feed safety which may require a risk assessment by EFSA.

C. Leroy (FASFC, National Investigation Unit) presented the Belgian network tackling fraud within the food chain. The National Investigation Unit, a special unit of the Belgian Food Safety Agency, is mandated to fight against national and international food fraud. This unit works closely together with different federal and regional public authorities in domains linked with the food chain (environment, economics, public health, finance, police, …) and is integrated in an international network. The Analysis and Quality cell of the National Investigation Unit collects and studies data and information on the food chain and assesses the risk of fraud before starting an investigation. The difficulty is that few parameters are quantifiable. The National Investigation Unit reports to the office of the public prosecutor who decides on the legal actions to be taken. C. Leroy presented the 2017 fipronil incident related to contamination of eggs as a case study showing the complexity of detecting and fighting food fraud. Fipronil is a pesticide to prevent and treat parasites in pets but is forbidden to use in food producing animals. From the investigation, it turned rapidly out that a huge part of the poultry chain has been impacted, not only in Belgium but also in the Netherlands. European member states were warned through the RASFF notification system. The damage to the poultry production chain and to the trust of the consumer was enormous. Eventually, those responsible were arrested and convicted. Since then, measures were taken at EC level and in the Members States to make food fraud protection stronger.

M.-C. Lecrenier (CRA-W, EURL) gave a presentation on analytical tools to detect feed fraud related to the Transmissible Spongiform Encephalopathy (TSE) feed ban. In 2001, a total feed ban of processed animal proteins (PAP) was laid down as basic preventive measure against the Bovine Spongiform Encephalopathy (BSE) epidemic (‘mad cow disease’). In the years to follow, a TSE Roadmap was developed for the controlled re-authorisation of PAPs in feed while assuring a high level of food safety. This resulted in a gradual lifting of parts of the 2001 feed ban. Animal PAPs have gradually been reintroduced: non-ruminant PAPs and insect PAPs in aquafeed in 2013 and 2017 respectively. But with each relaxation of legislation, the complexity of the analytical challenge has increased in order to meet the two major prohibitions which remain as pillars: the intra-species recycling and the use of ruminant PAPs in feed.

Until 2013, feed analysis by light microscopy (LM) was sufficient. Indeed, whatever the origin of the tissues, if any animal

Artikel - Article 24

particle was detected in a feed for farmed animals, the feed was considered as containing unauthorised by-products, with some exceptions like the use of fish meal in feed intended for non-ruminants. In July 2013, PAPs of non-ruminant origin were reauthorised in aquafeed, while ruminant PAPs remain banned. The notion of “species of origin” became the main challenge, even if in this case the notion of ‘species’ was only limited to the distinction between ‘ruminants’ and ‘non-ruminants’.

The solution came from the development of a polymerase chain reaction (PCR) method. To date, official controls are carried out with a combination of LM and PCR methods following operational schemes set up by the European Union Reference Laboratory for Animal Proteins in feeding stuffs, hosted by the Centre Wallon de Recherches Agronomiques (CRA-W) in Gembloux, Belgium. According to this method, the origin of the PAP can be determined (ruminant versus other animal species), however without any distinction on the type of the tissue. Ideally, the joint discrimination of the type of tissues (e.g. dairy products versus PAP) and the species or taxonomic origin (e.g. ruminant versus porcine) is required. Therefore, in the context of a controlled relaxation of the feed ban, complementary methods were sought to characterize the product when positive signals are delivered by current official methods, with special attention on feed materials (whether or not authorized) originating from ruminants. Liquid chromatography-tandem mass spectrometry (LC-MS/MS)-based proteomics was identified as the most promising method to meet this challenge.

M.-C. Lecrenier stated that the relaxation of the feed ban poses major challenges to analytical labs. Even the introduction of a complementary method based on proteomics will not guarantee that all cases of fraud will be detected. The combination of methods requires high technical skills and makes fraud detection more complex.

L. Jacxsens (UGent) presented the results of the introduction of a novel concept of ‘Food integrity management systems’ in the fight to prevent food fraud.

Current food safety management systems are fragmented and there is a need to complement them with more comprehensive food integrity tools and strategies to address, control and prevent food fraud. A food fraud vulnerability assessment is a tool aiming to acknowledge the internal and external technical and managerial factors of a food operator that may be vulnerable to food fraud. Food fraud vulnerability results from the combination of opportunities and motivations to commit fraud and control measures to counteract it. Fraud vulnerability differs

according to the type of the supply chain and the actor groups. Overall fraud vulnerability appeared to be highest for the spice chain, followed by the olive oil, meat, fish, milk and organic banana chains. Among the actor groups, the wholesale/traders group appeared the most vulnerable, followed by retailers and processors.

To prevent intentional food adulteration and counterfeiting threats requires an approach that goes beyond the common food safety-based strategies and falls into the sphere of food integrity. The concept of ‘food integrity culture’ was introduced. Its operationalization was investigated and tested through a triangulation method consisting of (1) a self-assessment tool on ‘food integrity climate (FIC)’ which acknowledges a company’s FIC through employees’ perceptions (human dimension), (2) an interview on key performance indicators which objectively verified the employees’ perceptions through an onsite observation (operational dimension), and (3) a diagnostic tool (SSAFE) on food fraud vulnerability, which evaluates the company’s opportunities and motivations to commit fraud in opposition to the organizational control measures to counteract it (technical and managerial dimension). Implementation of these three tools highlights different complementary aspects of food integrity culture, such as subjective versus objective and individual versus organizational perspectives. Results confirmed the hypothesis that an overall low food fraud vulnerability can be found in companies with a high perceived food integrity climate and high food integrity performance. To achieve a consolidated food integrity culture, food companies should include regular assessments of their food integrity climate, food integrity performance as well as of potential food fraud vulnerabilities within their current food safety management systems, and manage such human, operational, technical and managerial aspects as strategies of an integrated system.

A. Noiret (FWA) and E. Goossens (Boerenbond) explained the approaches implemented by the animal and plant primary production sector to prevent fraud in the food chain. The first lines of defence against fraud in the primary production sector are the self-checking systems, the correct labelling and the official controls by the authorities. In addition there are the voluntary quality systems and the regular checks by third-party certification bodies. Awareness on fraud is raised by sector organisations and information campaigns are regularly held. Examples were given of food safety incidents due to fraud with major impact on the primary sector (due to recalls, loss of consumer trust, loss of trade partners, …). Preventing fraud is for the primary sector a continuing challenge. Self-checking systems are valuable instruments against fraud but risk-based in-

FOOD SCIENCE 2023/1 &LAW 25

spections by the authorities remain absolutely necessary. More vigilance is needed to detect import fraud.

J. Hallaert (Fevia) presented the approaches of the agri-food sector to control fraud. Food fraud is of all times and the impact can be very important. Today, due to globalization and increased complexity of the food chain, fraud has become more difficult to detect and the consequences have become more far-reaching. Several food safety crises have shown that more attention should be given to the monitoring of food integrity throughout the entire food chain. All actors in the food chain have their responsibilities to maintain high standards of transparency and integrity. Fevia developed a food fraud action plan for the food industry. Different steps were identified to protect businesses from food fraud: mapping the logistic chain, identifying and prioritizing the risks, developing proportionate actions, identifying opportunities to mitigate fraud and organizing a structural follow-up. Other initiatives were also taken such as providing education on food fraud vulnerability and food integrity assessment. Controlling food fraud is currently included in various quality assurance systems.

G. Van Loock (Comeos) presented the approaches of the food retail sector to control fraud. Retail is positioned at the end of an often very complex supply chain. Daily dealing with thousands of products, the retailer stands in a difficult position. It is a significant challenge for retailers to obtain full traceability and transparency for all the various ingredients in a product. In addition, the customer is very demanding and regulations are constantly evolving. It is important for the retailer to adapt a systematic approach in its food safety management system to prevent and control food fraud. A vulnerability assessment should consider the many factors that may increase a retailers’ risk to food fraud. Risk mitigation measures should be put in place to lower fraud vulnerability. Food fraud control can be done by applying different techniques such as near infrared spectroscopy to detect low quality food at entry control, inhouse DNA barcoding for fast authentication of complex food samples, block chain technology to store information related to the origin or the processing of the product. In the retail sector, there is also an evolution from food fraud management to food integrity culture incorporating the human factor. The International Featured Standards (IFS) Product Integrity Assessment (PIA) tool has been developed to provide in-depth information about business transactions. It shows how suppliers identify and protect themselves against the risks of fraud and how food integrity is maintained. By utilizing the tool, trust can be created between suppliers and their customers.

J. Frère (Test Aankoop) presented the consumers’ perspective on food fraud. Consumers mostly fear being deceived about the true qualities of food and the risks it could pose for their health. Only 47% of Europeans say they have confidence in the authenticity of food products. Consumers trust in the European Food System is mainly rather low. Investigations by the consumers organization ‘Test Aankoop’ showed both quality, authenticity and health issues in extra virgin olive oil products, in honey, in food supplements for slimming and in organic goji berries. Mislabelling was also detected in pesto, chocolate mousse, tiramisu, etc. The consumer organization is of the opinion that the government should allocate more resources to responsible authorities, in particular to the Federal Agency for the Safety of the Food Chain, to tackle fraud in foods.

Round Table discussion

The symposium was concluded by a round table discussion with representatives of the stakeholders, the Food Safety Agency and the Scientific Committee. Questions came from the public: if there was sufficient control on residual batches of food products with quality issues, on illegal use of antibiotics and growth promotors in animal production? Participants at the round table highlighted the responsibility of producers, the importance of self-checking systems and quality label controls, the importance to perform entry controls and to aim for a trustful relationship with honourable suppliers. However, vigilance should always remain high by all players in the food chain, especially by the authorities. Regarding the question on illegal use of growth promotors in animal production, it was confirmed that despite the use of very sensitive analytical methods this malpractice is fortunately not seen any more.

P. Delahaut (ex-CER – vice-chairman of the Scientific Committee) concluded this successful symposium by recapitulating the main messages of the speakers and thanked the Staff direction for risk assessment at the FASFC for the organisation of the event.

Artikel - Article 26

BRCGS Food standard versie 9. De belangrijkste wijzigingen voor u belicht

Samenvatting

Na de eerste publicatie in 1998, is de BRCGS2 Food standard intussen aan zijn negende versie toe. BRCGS staat voor Brand Reputation through Compliance Global Standard. Hiermee is dan ook meteen duidelijk wat de opzet is van deze standaard. Deze editie werd aan het publiek kenbaar gemaakt op 1 augustus 2022 en treedt vanaf 1 februari 2023 in voege. De belangrijkste wijzigingen in het auditprotocol komen aan bod, om vervolgens in te gaan op de evoluties of wijzigingen an sich. De focus is duidelijk gelegd op de verdere ontwikkeling van een adequate voedselveiligheidscultuur, een revisie van HACCP op basis van de gewijzigde Codex Alimentarius guidelines, de inbedding van een risicogebaseerde aanpak doorheen de diverse criteria binnen de standaard en het vermijden van recurrentie van afwijkingen in zijn diverse facetten3

Résumé

Après sa première publication en 1998, la norme BRCGS Food en est maintenant à sa neuvième version. BRCGS est l’acronyme de Brand Reputation through Compliance Global Standard. Cela clarifie donc immédiatement l’objectif de cette norme. Cette édition a été annoncée au public le 1er août 2022 et entrera en vigueur le 1er février 2023. Les principales modifications apportées au protocole d’audit sont discutées, puis les évolutions ou changements en eux-mêmes sont abordés. L’accent est clairement mis sur la poursuite du développement d’une culture adéquate de la sécurité alimentaire, sur la révision du système HACCP sur la base de la directive modifiée du Codex Alimentarius, sur l’intégration d’une approche fondée sur le risque dans les différents critères de la norme et sur la prévention de la récurrence des anomalies sous ses différentes facettes.

Inleiding

Met deze editie wordt een nieuwe stap gezet in de verankering van voedselveiligheidssystemen binnen de voedingssector. De standaard bestaat inmiddels bijna 25 jaar en telt wereldwijd 22.000 gecertificeerde ondernemingen in meer dan 30 landen4. Initieel was de standaard geënt op voedselveiligheidseisen, maar gaandeweg werd dit gevoelig uitgebreid. Met de

1 Zaakvoerder Quality Point CommV, Michael.gore@qualitypoint.be.

2 https://www.brcgs.com/media/2170655/brcgs-complaince-report-2022.pdf.

komst van versie 9 stelt het zich als doel om zowel veiligheid, authenticiteit, kwaliteit als operationele criteria die vereist zijn binnen een voedingsbedrijf te duiden, zodat er kan worden tegemoetgekomen aan de verplichtingen in hoofde van de wettelijke conformiteit en consumentenbescherming.

Verder vonden een aantal kleinere wijzigingen plaats om de standaard meer te aligneren met de andere standaarden in het

3 https://www.brcgs.com/product/global-standard-food-safety-(issue-9)-guide-to-key-changes/p-12230/.

4 https://www.brcgs.com/our-standards/food-safety/issue-9-revision/.

FOOD SCIENCE 2023/1 &LAW 27
Michael Gore 1

licht van het GFSI5-benchmark. Zo werd het woord integriteit vervangen door authenticiteit om de eenvormigheid te bewaken doorheen alle toegepaste normen.

Enkele aandachtspunten met betrekking tot de structuur

Vooraleer we ingaan op de voornaamste wijzigingen binnen de standaard, is het goed om even stil te staan bij enkele meer algemene punten die kenmerkend zijn voor de standaard.

De kleurcodering die aan de normeisen is gekoppeld, blijft behouden als een leidraad om het documentaire karakter en/of de toepassing in de praktijk te duiden.

Hetzelfde geldt voor de bestaande opbouw met de intentieverklaringen (statements of intent) die duiding geven aangaande het resultaat dat beoogd wordt op basis van de individuele normeisen die eronder ressorteren. De werking en invulling van de fundamentele normeisen (twaalf in totaal) is eveneens een blijver.

5 https://mygfsi.com/who-we-are/overview/.

In het auditprotocol zelf werden enkele aanpassingen doorgevoerd:

– Als reactie op het GFSI-benchmark eist BRCGS nu een onaangekondigde audit om de drie jaar.

– Een nieuwe blended aangekondigde auditoptie wordt geïntroduceerd bestaande uit een online beoordeling van documentatie gevolgd door een beoordeling ter plaatse met focus op de productiegerelateerde activiteiten.

Focus op de normeisen

Voedselveiligheidscultuur – Food safety culture (1.1.2)

Wat doen we als de auditor niet aanwezig is? Hoe gedragen werknemers en management zich? Dit is een graadmeter voor de voedselveiligheidscultuur binnen een onderneming. Het is duidelijk dat de introductie van versie negen een veel grotere waarde toekent aan de uitbouw, uitrol en opvolging van een gestructureerde aanpak. Hierin zullen bedrijven vervolgstappen moeten zetten om de conformiteit met deze normeis te behouden. Een plan is namelijk één zaak, maar daarnaast

6 https://www.brcgs.com/about-brcgs/news/2022/creating-a-culture-of-excellence/.

Artikel - Article 28
© Adobe stock

dienen indicatoren of KPI’s te worden bepaald in functie van de ontwikkeling van een reeks initiatieven. Deze indicatoren kunnen opgebouwd zijn rond opleidingsvereisten en feedback van medewerkers, maar het kunnen ook performantie-indicatoren zijn die voortvloeien uit de opvolging van voedselveiligheid, authenticiteit, wettelijkheid en kwaliteit. Deze moeten de organisatie in staat stellen om een positieve gedragsverandering aantoonbaar te maken. Alle medewerkers worden hierbij betrokken. Dit kan leiden tot een gedifferentieerde aanpak in functie van verschillende groepen medewerkers. Het plan geeft dus duidelijk aan wat er moet worden opgezet, hoe dit zal worden uitgerold, alsook de wijze waarop het gemeten wordt inclusief de vooropgestelde timings. Dit stelt het management in staat om de uitgevoerde activiteiten te evalueren en aan een effectiviteitstoets te onderwerpen. Het opzetten van SMART7doelstellingen kan hier zeker een toegevoegde waarde betekenen. Het spreekt voor zich dat het senior management mee in de driver’s seat zit en de voedselveiligheidscultuuraanpak in de vingers moet hebben en moet aansturen.

Het voedselveiligheidsplan – HACCP (2)

De update van de General Principles of Food Hygiene8 van de Codex Alimentarius gaf invulling aan de herziening die heeft plaatsgevonden binnen de standaard en die betrekking heeft op het HACCP- of voedselveiligheidsplan.

Ter hoogte van de HACCP-studie zelf wordt meer aandacht besteed aan de basisinformatie die vereist is om de gevarenanalyse op adequate wijze te kunnen uitvoeren. Denk in eerste instantie aan wetenschappelijke literatuur, sectorgidsen, enzovoort. Met de introductie van deze nieuwe versie wordt gevraagd om de bestaande HACCP-plannen, grondplannen met apparatuur, het waterdistributieplan alsook het overzicht van de toegepaste zonering (opdeling van het bedrijf in verschillende zones zoals high risk, high care, ambient high care, enz.) mee op te nemen. Dit werd in het verleden eerder als basis van het basisvoorwaardenprogramma gedocumenteerd.

Een ander belangrijk punt is gekoppeld aan het belang van de validatie van beheersmaatregelen die niet noodzakelijkerwijs voortvloeien uit kritische controlepunten (CCP’s). Het kan

7 https://www.managers.org.uk/wp-content/uploads/2020/03/CHK-231-Setting_Smart_Objectives.pdf.

8 https://www.fao.org/fao-who-codexalimentarius/sh-proxy/pt/?lnk=1&url=https%253A%252F%252Fworkspace.fao.org%252Fsites%252Fcodex%252FSta ndards%252FCXC%2B1-1969%252FCXC_001e.pdf.

FOOD SCIENCE 2023/1 &LAW 29
© Adobe stock

hier gaan om punten van aandacht (PVA’s of CP’s) of basisvoorwaarden (PRP)9, voor zover zij tot doel hebben om een specifiek gevaar te beheersen (2.7.4). De doeltreffendheid van deze laatste dient te worden gevalideerd door het HACCPteam.

Verder richt de standaard de focus op de validatie van de HACCP-studie alvorens de aanpassingen ingevoerd worden. De aantoonbaarheid van de validatiestap neemt bijgevolg een prominentere plaats in en zal ook anders worden bekeken tijdens audits. De verschillende elementen die aanleiding kunnen geven tot een herziening van de HACCP-studie zijn aangegeven.

Leveranciersbeheer (3.5)

Voor de goedkeuring van leveranciers is een geldige GFSI-certificatie nodig voor de aangekochte grondstoffen of de uitvoering van leveranciersaudits (3.5.1.2). Deze dienen in hun scope voortaan food security10,11, en food defence plannen alsook beheersplannen in het kader van voedselfraude te bevatten. De persoon die deze documenten dient na te zien, dient hiertoe competent en bevoegd te zijn. Er werden eveneens verduidelijkingen aangebracht over de eisen naar het voeren van traceeroefeningen in geval van leveranciersbeoordelingen middels leveranciersaudits. De traceeroefening dient te worden beperkt tot de laatste schakel (3.5.1.6). Normeis 3.5.1.7 legt de focus op uitzonderingen waar product testing op zijn plaats is om de conformiteitsbepaling te doen.

Consultants en opleiders in het kader van voedselveiligheid dienen mee als dienstverlener te worden opgenomen en geëvalueerd (3.5.3.1). In bredere zin vraagt normeis 3.5.3.3 eveneens de nodige aandacht, aangezien op een regelmatige basis dienstenleveranciers opgevolgd en goedgekeurd dienen te worden aan de hand van eenduidige parameters en op basis van risico.

Er is nu ook duidelijkheid voorzien voor uitbestede processen. De intentieverklaring verschaft een eenduidige omschrijving van wat hieronder begrepen kan worden. De klant dient ook te weten dat het product desgevallend door een andere operator werd behandeld en dient dit tevens goed te keuren. De beoordeling van de organisaties waar uitbesteding plaatsvindt is analoog aan de leveranciers van grondstoffen. Hou hierbij ook rekening met het feit dat de aanpak risicogebaseerd moet zijn, zowel naar frequentie als naar invulling. De aanwezigheid

van een duidelijke specificatie voor de uitbestede processen is noodzakelijk. Hierin wordt tussen de betrokken partijen specifieke informatie met betrekking tot de manipulatie van de producten, in lijn met contractuele overeenkomsten en met behoud van traceerbaarheid (3.5.4.4), gedeeld.

De uitbesteding van processen gaf op het terrein soms aanleiding tot discussie. Mede hierdoor heeft BRCGS beslist om de term en de inhoud ervan te verduidelijken.

Niet-conformiteiten (3.7)

BRCGS is één van de eerste standaarden waar de focus werd gelegd op de analyse van de grondoorzaak van niet-conformiteiten (root cause analysis) om recurrentie te voorkomen. Dit wordt nu explicieter opgenomen.

Incidentenbeheer, productterugtrekkingen en recalls (3.11)

Op het vlak van incidentenbeheer is het toepassingsgebied verder verbreed door ook authenticiteit op te nemen. De communicatie van incidenten, waaronder inbreuken op wetgeving, dient tijdig en binnen de drie dagen plaats te vinden ten aanzien van de certificatie-instelling. Nieuw is evenwel dat de bedrijven vervolgens 21 kalenderdagen hebben om bijkomende informatie over te maken aan de instelling met inbegrip van een actieplan met de focus op correcties, basisoorzakenanalyse en corrigerende maatregelen gericht op preventie. Het is aangewezen om deze aanpak te documenteren in de relevante procedures en werkinstructies.

Eisen op niveau van de onderneming (4)

Normeis 4.1.4 stelt dat het bezoekersregistratiesysteem betrekking heeft op de toegang tot de site en niet tot de productielokalen. Er worden in de standaard verschillende eisen gesteld aan de toegang op het bedrijfsterrein versus de toegang tot de productielokalen.

Food defence krijgt zijn eigen plaats onder 4.2, wat het belang ervan verder onderstreept. Ook de bedrijfsvertegenwoordigers moeten de kennis van food defence met inbegrip van de kennis over de werking van het bedrijf kunnen aantonen.

9 https://eur-lex.europa.eu/legal-content/EN/TXT/?uri=uriserv:OJ.C_.2016.278.01.0001.01.ENG&toc=OJ:C:2016:278:FULL.

10 https://www.worldbank.org/en/topic/agriculture/brief/food-security-update/what-is-food-security.

11 https://www.who.int/health-topics/food-safety.

Artikel - Article 30

De productflows, lay-out en scheidingen van productieactiviteiten verdienen de nodige aandacht (4.3). Er dient een gedocumenteerde risico-evaluatie plaats te vinden om de kruisbesmetting door pathogenen in kaart te brengen vooraleer er gekeken wordt naar de procesflows en de wijze waarop de faciliteiten hierop voorzien worden.

Heel wat bedrijven beschikken over plastic flappen in deuropeningen om ruimten van elkaar te scheiden. Deze mogen echter geen bijkomend productrisico opleveren (4.4.11).

Het onderdeel dat de eisen omschrijft aangaande het machinepark en de uitrusting werd verduidelijkt en verscherpt (4.6).

Ook hier moet er bij de aanschaf een aankoopspecificatie worden opgemaakt met de nodige garanties naar conformiteit ten aanzien van de relevante regelgeving. Daarnaast dient voedselcontact geborgd te zijn waar nodig en moet het geschikt zijn voor de gebruikte toepassing. Dit alles is erop gericht om productcontaminatie te voorkomen.

Bij de indienststelling van apparatuur is een gedocumenteerde en risicogebaseerde procedure of werkinstructie vereist, gevolgd door een uitgeschreven vrijgaveprocedure in het kader van hygiëne.

De apparatuur moet op doeltreffende wijze gereinigd en onderhouden kunnen worden. De standaard vraagt bovendien dat er gereflecteerd wordt over de aanpak gekoppeld aan de verplaatsing van statische apparatuur, zoals vaste toestellen of productielijnen. Dit gebeurt slechts sporadisch maar kan een bijkomend productrisico opleveren.

Apparatuur dat uit dienst wordt genomen moet op afdoende wijze worden gereinigd en opgeslagen, net als de ruimte waarin die zich bevindt. Bij hergebruik dient eveneens een proces van reiniging en indien nodig ontsmetting te worden toegepast. Mobiele toestellen en laadstations moeten worden beheerst zodat ze geen bijkomend risico kunnen betekenen voor het product.

Het beheer van chemicaliën (4.9.1.1) wordt uitgebreid, in het bijzonder in het geval van morsen van een product maar ook ten aanzien van de omgang met en het beheer van lege recipiënten, vervallen producten en stockagewijze. Het eventuele gebruik van hout wordt onderworpen aan een risicogebaseerde monitoring (4.9.5). Fysische contaminanten worden uitgebreid en zijn ook hier op basis van risico te inventariseren.

De introductie van röntgendetectiesystemen heeft geleid tot de vastlegging van specifieke modaliteiten (4.10.3.5) naar analogie met de criteria voor metaaldetectie die reeds bestonden in versie 8. Indien eventueel nog andere methoden worden toegepast in de detectie en verwijdering van vreemde voorwerpen, dienen de instructies te worden gevolgd van de constructeur. De uitgevoerde controles dienen eveneens gedocumenteerd te zijn.

Productcontrole (5)

De eisen met betrekking tot etikettering (5.2) werden verder uitgediept. Zo is er een nieuwe normeis bijgekomen voor etiketten die door klanten of derden worden opgelegd op het vlak van opmaak alsook validatie bij eventuele wijzigingen. De vraag tot validatie wordt doorgetrokken tot de eventuele bereidingsinstructies op het etiket (5.2.4).

De verscherpte aandacht voor authenticiteit laat zich eveneens voelen (5.4). De personen die de voedselfrauderisico’s in kaart brengen, moeten hiertoe opgeleid zijn en kennis hebben van de gebruikte grondstoffen binnen het bedrijf.

Claims gekoppeld aan productiemethoden moeten middels certificatie worden geborgd (5.4.6). Eventuele afwijkingen moeten worden gedocumenteerd en voorkomen (5.4.7).

FOOD SCIENCE 2023/1 &LAW 31
© Adobe stock

Het aankoopproces voor verpakkingen (en niet enkel de producttechnische aspecten van verpakkingen) neemt aan belang toe en werd opgenomen in de statement of intent onder 5.5. Er is eveneens een verhoogde aandacht merkbaar voor de mogelijke risico’s verbonden aan recycleerbare of herbruikbare verpakkingen (5.5.1).

Nieuw is de introductie van eisen voor producenten, verwerkers of verpakkers van pet food of diervoeder (5.8). Hetzelfde geldt voor dierlijke productie en meer bepaald de primaire bewerking (slacht). Een eerdere position statement van mei 2021 werd nu geïntegreerd in de standaard (5.9).

Producten buiten scope, binnen de bedrijfsomgeving (6.1.7)

Bij de behandeling van producten of materialen die op de site aanwezig zijn, maar buiten de scope vallen, is het van belang om ook daar te waken over de risico’s ten aanzien van de producten in scope.

Opleidingsvereisten (7.1.2)

Ter hoogte van het personeel is er een uitbreiding van de opleidingsvereisten en competenties ten aanzien van diegenen die zich moeten ontfermen over activiteiten die gelinkt zijn aan CCP’s maar nu ook bij uitbreiding beheersmaatregelen.

High-risk, high-care en ambient high-care zones (8)

De eisen voor high-risk zones zijn verduidelijkt met een aangescherpte aandacht voor het beheer van een aantal risico’s op introductie van pathogenen door foute manipulaties. Bijkomende eisen zijn voorzien voor de omgang met chemicaliën, het gebruik van mobiele partities om afscheidingen te voorzien tussen zones alsook het gebruik van elektrische (accugedreven) materialen zoals scanners, laadapparatuur, enzovoort.

De reinigingseisen voor high-risk en high-care zones moeten worden afgestemd op basis van de microbiologische risico’s en minimaal voldoen aan de beschreven eisen (4.11.2). Als nieuw element wordt nu ook CIP opgenomen waar aandacht wordt gevraagd voor de eventuele contaminatie van een low-risk zone naar een zone met een hoger risico.

Handelsgoederen (9)

Een voedselveiligheidsplan is vereist voor de handelsgoederen, waarbij ook de traceerbaarheidseisen beter worden omschreven.

Modules

De overige modules werden geactualiseerd. Het gaat met name om module 10 (Global G.A.P.), module 11 (Meat Supply Chain Assurance) en module 13 (FSMA-eisen voor food). Elke module is specifiek en kan desgevallend worden geauditeerd samen met BRCGS versie 9. Gezien het specifieke karakter en de beperkte toepassing van deze modules binnen België worden deze hier niet verder behandeld.

Conclusie

Deze vernieuwde versie bouwt verder op de begrippen die in het verleden reeds werden geïntroduceerd, denk maar aan de inbedding van een voedselveiligheidscultuur wat de verantwoordelijkheid voor een conform product terugbrengt naar de hele organisatie, van de medewerker op de werkvloer tot het topmanagement. De sterkte van de keten zit namelijk in de zwakste schakel, en net die laatste moet worden aangepakt. Anderzijds roept de standaard op om meer doordacht om te gaan met de bedrijfsprocessen en om binnen de beslissingsvorming de mogelijke risico’s in het kader van veiligheid, authenticiteit en kwaliteit te beheersen zodat te allen tijde wordt voldaan aan de wettelijke vereisten en de consument maximaal wordt beschermd. Hiermee is duidelijk een verdieping ingezet die verder reikt dan louter voedselveiligheid. Deze elementen kwamen in de eerdere edities ook al naar voren maar het is duidelijk dat BRCGS haar naam alle eer wenst aan te doen door de focus te plaatsen op de verschillende domeinen die mee impact hebben op de integriteit van een product in zijn verschillende facetten en op de preventieve maatregelen die genomen moeten worden om reputatieschade te vermijden.

Tot slot is het raadzaam om alle normeisen in detail na te lezen en te vergelijken met de vorige versie12 om onaangename verrassingen te vermijden. Bepaalde kleinere tekstuele aanpassingen of formuleringen kunnen een andere invulling geven aan een normeis. De duivel zit wel degelijk in de details. Een goede implementatie biedt alvast mogelijkheden om meer diepgang in het kwaliteitssysteem van de bedrijven te brengen.

12 https://www.brcgs.com/product/global-standard-food-safety-(issue-9)-guide-to-key-changes/p-12230/.

32 Artikel - Article

in onze voeding: een aanleiding tot het ontwikkelen van kanker?*

Mycotoxinen

Mycotoxinen en onze voeding

Wereldwijd is 60 % tot 80 % van alle graan- en groentegewassen gecontamineerd met mycotoxinen. Mycotoxinen zijn toxische bestanddelen die van nature door verschillende schimmels worden geproduceerd. Aangezien schimmelvorming frequent optreedt tijdens de teelt op het veld of de opslag van gewassen in silo’s, komen mycotoxinen ook terecht in tal van dagelijkse voedingsproducten. Zo wordt de mycotoxine aflatoxine voornamelijk teruggevonden in noten, deoxynivalenol (DON) in graanproducten, patuline (PAT) in appels en fumonisine B1 (FB1) in maïs. Er bestaan nog vele andere schadelijke mycotoxinen, doch tot op heden worden deze niet mee opgenomen in routinematige controles van voeding of voeder [1]. Aangezien mycotoxinen uiterst resistent zijn in de spijsvertering, komen ze ook terecht in vlees, melk of eieren van blootgestelde dieren en als dusdanig op ons bord. Wereldwijd leidt de contaminatie van levensproducten door mycotoxinen tot grote economische verliezen: in Amerika wordt het kostenplaatje gerelateerd aan voedselverlies of bederf door mycotoxinen geraamd op 2 tot 3 miljard dollar per jaar. De situatie wordt nog complexer door de shift van het westers dieet naar biologische voeding of het vegetarisch/veganistisch eetpatroon, waarbij het voorkomen van mycotoxinen hoger wordt geacht door enerzijds het verminderd gebruik van pesticiden en insecticiden, en anderzijds het meer gevoelig zijn van bepaalde gewassen voor schimmels. Alsook, met het oog op de klimaatopwarming in Europa en in onze contreien, creëert dit optimale groeicondities voor schimmels en wordt er verwacht dat mycotoxinen een hardnekkig probleem zullen vormen in de toekomst.

Beschimmeld eten (© Adobe Stock)

Mycotoxinen en onze gezondheid

Zelfs aan lage concentraties worden mycotoxinen geassocieerd met nadelige gezondheidseffecten bij mens en dier. Naargelang het type toxine kan acute blootstelling leiden tot misselijkheid, diarree en hoofdpijn, terwijl chronische blootstelling wordt geassocieerd met kanker. Verscheidene mycotoxinen werden ingedeeld op basis van hun potentieel kankerverwekkend vermogen door het Internationaal Agentschap voor Kankeronderzoek [2], een onderdeel van de Wereldgezondheidsorganisatie [3] (WHO-IARC in Lyon, Frankrijk): zo zijn aflatoxines met zekerheid geassocieerd met leverkanker (groep 1), terwijl ochratoxine A en fumonisines mogelijks kankerverwekkende eigenschappen hebben op basis van studies bij dieren (groep

1 Centre of Excellence in Mycotoxicology and Public Health, UGent, Gent, België.

2 Epigenomics and Mechanisms Branch, International Agency for Research on Cancer, WHO, Lyon, Frankrijk.

3 Nutrition and Metabolism Branch, International Agency for Research on Cancer, WHO, Lyon, Frankrijk.

* Waar de auteurs worden geïdentificeerd als personeel van het Internationaal Agentschap voor Kankeronderzoek/Wereldgezondheidsorganisatie, zijn alleen de auteurs verantwoordelijk voor de standpunten in dit artikel en vertegenwoordigen zij niet noodzakelijkerwijs de beslissingen, het beleid of de standpunten van het Internationaal Agentschap voor Kankeronderzoek/Wereldgezondheidsorganisatie.

FOOD SCIENCE 2023/1 &LAW 33
Dr. Liesel Claeys 1, 3 , prof. dr. Marthe De Boevre 1 , prof. dr. Sarah De Saeger 1 , dr. Michael Korenjak 2 , dr. Jiri Zavadil 2 en dr. Inge

Doctoraatsonderzoek in de kijker –Recherche doctorale à l’honneur

2). Recent literatuuronderzoek rapporteert dan weer tegenstrijdige resultaten omtrent de associatie tussen de mycotoxine zearalenone en borstkanker (groep 3). Voor vele andere mycotoxinen is echter nog verder onderzoek nodig om het kankerverwekkend potentieel in de mens in te schatten. Aangezien verschillende mycotoxinen vaak samen aanwezig zijn in één voedingsproduct, en mens en dier dus aan een waaier van toxines tegelijkertijd worden blootgesteld, richt recent onderzoek zich op de blootstelling aan meerdere mycotoxinen, waarbij wordt verondersteld dat chronische inname geassocieerd is met een verhoogd risico op kanker. Door het effect van meerdere mycotoxinen samen te bekijken, trachten onderzoekers een allesomvattende (holistische) gezondheidsinschatting te maken. Naargelang het onderzocht gezondheidseffect worden daarvoor vaak specifieke technieken gebruikt: effect op ziekte (epidemiologie), effect op genen (genomics) of effect op lichaamsmetabolieten (metabolomics).

Onderzoek aan de Universiteit Gent in samenwerking met WHO-IARC

Onderzoek aan de Universiteit Gent, gecoördineerd door het Centre of Excellence in Mycotoxicology and Public Health [4] en het WHO-IARC [2, 3], in het kader van een FWO-doctoraatsthesis door dr. Liesel Claeys, heeft aangetoond dat de Europese populatie voornamelijk wordt blootgesteld aan DON

afkomstig uit granen, FB1 uit maïs en Alternaria mycotoxinen uit fruit, aan “veilige” concentraties, namelijk lager dan de accepteerbare vooropgestelde dosis. Deze blootstellingsinschatting werd berekend door de opgenomen hoeveelheid voeding (ingeschat via vraaglijsten) te vermenigvuldigen met de hoeveelheid mycotoxinen aanwezig in de voeding (ingeschat via meetrapporten van EFSA [5]). Vragenlijsten werden afgenomen binnen de European Prospective Investigation into Cancer and Nutrition (EPIC) [6] cohortstudie populatie, dewelke specifiek is opgericht in het onderzoek naar voeding en kanker. Binnen de EPIC-populatie werden meer dan 500.000 mensen, tussen 30 en 75 jaar, uit tien Europese landen, tientallen jaren opgevolgd met betrekking tot de blootstelling aan kankerverwekkende stoffen in voeding en de mogelijke ontwikkeling tot kanker.

In de tweede fase van het onderzoek werd het voorkomen van kanker (darm-, lever- en nierkanker) binnen de EPIC-populatie gecorreleerd aan de geschatte mycotoxineblootstelling. Enkel voor lever- en darmkanker werd een verhoogd risico vastgesteld na opname van DON (lever en darm) en PAT (enkel darm). Verder werd ook de opname van meerdere mycotoxinen samen geassocieerd met een verhoogd risico op lever- en darmkanker.

Om de mogelijke mechanismen die aan de basis liggen van deze associaties verder op te helderen, werd in een derde fase van het onderzoek het effect van mycotoxinen nagegaan op de

34
Figuur 1. Studiedesign om de mycotoxineblootstelling en de eventuele invloed op kankerontwikkeling in te schatten

levensvatbaarheid van humane lever- en darmkankercellen, alsook stamcellen afkomstig van muizen. Zowel voor DON als voor PAT, alsook voor de combinatie ervan, werd een dosisafhankelijke toxiciteit vastgesteld, waarbij de combinatie toxischer was dan de enkelvoudige blootstelling. Verder DNAonderzoek toonde aan dat DON en PAT mutaties veroorzaken in het genoom van lever- en darmkankercellen, waarvan er twee potentieel van belang zijn: SBS40 (eventueel verhoogd als gevolg van PAT en/of gelijktijdige blootstelling met DON) en SBS18 (gerelateerd aan oxidatieve stress). Ook in de stamcellen werden drie prominente mutaties gevonden: SBS36, SBS17 en mSBS_N3. Verder veroorzaakte de blootstelling aan mycotoxinen een verandering in de genexpressie van darmkankercellen.

Tot slot, wanneer het lichaam wordt blootgesteld aan mycotoxinen via voeding treden er vier verschillende processen op namelijk absorptie, distributie, metabolisatie en excretie. Een groot of klein deel van de mycotoxinen kunnen op deze manier wel of niet worden opgenomen (= interne blootstelling). Bij de interne blootstellingschatting wordt de hoeveelheid mycotoxinen (en diens metabolieten) bepaald in urine, bloed en/of feces. Bijgevolg werd in de vierde en laatste fase van het huidig onderzoek een methode ontwikkeld en gevalideerd om verschillende mycotoxinen samen te kwantificeren in humaan plasma. Deze methode zal in de toekomst worden gebruikt op de plasmastalen van de EPIC-populatie om de associatie tussen mycotoxinen en lever- en darmkanker te bevestigen.

Indien u meer wenst te weten over dit interessante onderzoeksonderwerp, kunt u via de volgende link (https://biblio. ugent.be/publication/8768248) meer informatie opzoeken.

Bibliografie

[1] Johns, L.E., Bebber, D.P., Gurr, S.J. en Brown, N.A., “Emerging health threat and cost of Fusarium mycotoxins in European wheat”, Nat. Food 2022, 3: 1014-1019.

[2] International Agency for Research on Cancer (IARC), https://www.iarc.who.int/ (2023).

[3] World Health Organization (WHO), https://www.who. int/ (2023).

[4] Centre of Excellence in Mycotoxicology and Public Health, Ghent University, https://www.ugent.be/fw/bio analysis/en/research/cemph (2023).

[5] European Food Safety Authority (EFSA), https://www. efsa.europa.eu/nl (2023).

[6] European Prospective Investigation into Cancer and Nutrition, IARC, https://epic.iarc.fr/about/background.php (2023).

FOOD SCIENCE 2023/1 &LAW 35

Adviezen - Avis

COMITE SCIENTIFIQUE INSTITUE AUPRES DE L’AGENCE FEDERALE POUR LA SECURITE DE LA CHAINE ALIMENTAIRE

Avis émis par le Comité scientifique institué auprès de l’AFSCA en 2022 (2e semestre)

Axel Mauroy (AFSCA)

Le Comité scientifique (SciCom) émet des avis indépendants à la demande soit de l’administrateur délégué de l’AFSCA ou de son ministre de tutelle, soit de sa propre initiative, sur des questions liées à l’évaluation et aux options de gestion des risques dans la chaîne alimentaire.

Les avis suivants ont été émis durant le 2e semestre de 2022 :

Avis 10-2022 Facteurs de risque de contamination microbienne des carcasses durant le processus d’abattage d’animaux domestiques de production

Avis 11-2022 Evaluation du programme d’analyses de l’AFSCA relatif aux phytotoxines et aux plantes/graines indésirables dans les denrées alimentaires et les aliments pour animaux

Avis 12-2022 Évaluation d’une nouvelle méthode de classification analytique pour les produits dérivés de viande (préparations de viandes – produits à base de viande)

Avis 13-2022 Évaluation du module GM4 « Maîtrise des agents pathogènes environnementaux dans l’industrie alimentaire »

Avis 14-2022 Projet d’arrêté royal relatif à la lutte contre la tuberculose bovine

Avis 15-2022 Projet d’arrêté royal fixant les fréquences d’inspections nécessitant la présence d’un agent de l’AFSCA dans les établissements du secteur de la transformation des viandes et des poissons

Avis 16-2022 Réévaluation de la cotation des effets néfastes associés aux dangers dans le cadre du programme d’analyses de l’AFSCA : volet « santé animale »

Le texte intégral de ces avis peut être consulté sur le site web du Comité scientifique. (https://www.favv-afsca.be/comitescientifique/). Voici les résumés de ces avis.

AVIS 10-2022

Facteurs de risque de contamination microbienne des carcasses durant le processus d’abattage d’animaux domestiques de production

Dans cet avis en autosaisine, le Comité scientifique s’est intéressé aux possibilités de contamination de la carcasse durant le processus d’abattage suite à la présence possible d’agents pathogènes dans le tractus gastro-intestinal des animaux vivants. Certaines étapes, tant avant que pendant le processus d’abattage, peuvent en effet avoir un impact sur cette potentielle contamination.

A cet égard, certains abattoirs ont mis en place des procédures visant à encourager la livraison d’animaux à jeun (consistant à retirer les aliments aux animaux plusieurs heures avant l’abattage), que ce soit via des contrats avec leurs fournisseurs ou via des avantages accordés aux éleveurs qui veillent à ce que les animaux présentés soient à jeun. Cependant, aucune législation belge ou européenne ne prescrit que les animaux présentés à l’abattage doivent être à jeun.

Le guide d’autocontrôle pour les abattoirs fait référence au jeûne des animaux en vue de réduire le risque de contamination des carcasses lors de l’abattage. Le jeûne des animaux réduirait la fuite du contenu du paquet gastro-intestinal à l’abattage car il est moins distendu par les aliments récemment ingérés. Les règles contenues dans ce guide ne constituent toutefois pas des exigences légales. De plus, ce guide s’adresse aux abattoirs et non directement aux éleveurs qui envoient des animaux à l’abattoir et qui sont donc les premiers responsables du jeûne de ces derniers.

36

Au vu de ce contexte, les questions suivantes ont été posées au Comité scientifique :

La période de jeûne des porcs et des bovins avant l’abattage a-t-elle une incidence sur le risque de contamination microbienne de la carcasse ?

– Quels sont les risques de contamination microbienne de la carcasse liés à une interruption du processus d’abattage (en raison d’une panne ou autre calamité) lorsque l’éviscération n’a pas encore eu lieu ?

L’évaluation des risques du Comité scientifique a été réalisée sur base de l’opinion d’experts et d’une enquête sur la fréquence des pannes dans les abattoirs belges de porcs et de bovins. Les données disponibles et pertinentes de la littérature scientifique ont également été prises en compte dans l'évaluation. D'autres Etats membres ont également été interrogés via le réseau EFSA focal point.

Sur base des données rassemblées, il a pu être déterminé que l’ouverture de la cavité abdominale présente toujours un risque de contamination microbienne de la carcasse. Plus le volume du tractus gastro-intestinal est important, plus le risque est élevé. La littérature scientifique n’offre cependant pas de preuves attestant que la mise à jeun des animaux entraîne une meilleure qualité microbienne de la carcasse. Le Règlement (CE) n° 1/2005 stipule que le jeûne des animaux ne peut durer plus de 24h pour des raisons de bien-être animal. Il a en outre été souligné que les ruminants ne peuvent en fait être pas être complètement mis à jeun et qu’un jeûne complet des ruminants n’est pas non plus souhaitable du point de vue du bien-être animal.

Le Comité scientifique a donc conclu que l’effet de la mise à jeun des porcs et des bovins sur le risque de contamination microbienne est limité mais qu’il convient toutefois d’éviter que leur tractus gastro-intestinal soit trop rempli. Le Comité scientifique a souligné l’importance de la compétence de l’opérateur et de l’équipement utilisé pendant l’éviscération, ces deux facteurs ayant une plus grande influence. Les pannes dans les abattoirs peuvent affecter le délai d’éviscération. Les résultats de l’enquête menée auprès

FOOD SCIENCE 2023/1 &LAW 37
© Adobe stock

d’abattoirs belges indiquent que les pannes sont relativement fréquentes. La plupart des pannes ne durent toutefois pas longtemps (moins de 2h). Les abattoirs de porcs semblent avoir des pannes plus fréquentes, qui durent également plus longtemps. Cela peut s’expliquer par la plus grande complexité et le rythme de la chaîne d’abattage dans un abattoir de porcs. En ce qui concerne l’éviscération tardive, et en l’état actuel des connaissances, rien n’indique que cette pratique entraîne un risque accru de contamination bactérienne de la carcasse. Une éviscération tardive peut néanmoins entraîner des modifications organoleptiques susceptibles de conduire au refus de la carcasse.

Sur base de la littérature, aucun délai maximal ne peut être proposé entre la mise à mort des animaux et leur éviscération. L’éviscération tardive peut entraîner la formation de gaz et un gonflement du système digestif, surtout chez les ruminants, ce qui complique l’ouverture de la cavité abdominale et augmente le risque de perforation du système digestif.

Dans cet avis, le Comité scientifique a recommandé des études complémentaires sur les risques de contamination microbienne des carcasses en l’absence de mise à jeun des animaux abattus et en cas d’éviscération tardive. Il a souligné également que l’apparition des pannes doit être évitée autant que possible par un bon entretien et un bon contrôle des équipements et a recommandé qu’une analyse a posteriori des incidents, de leurs causes et des méthodes préventives possibles soit réalisée.

AVIS 11-2022

Évaluation du programme d’analyses de l’AFSCA relatif aux phytotoxines et aux plantes/graines indésirables dans les denrées alimentaires et les aliments pour animaux

Il a été demandé au Comité scientifique d’évaluer le programme d’analyses de l’AFSCA relatif aux toxines végétales et aux plantes/ graines indésirables dans les denrées alimentaires et les aliments pour animaux. Plus précisément, il lui était demandé : – d’évaluer les tendances éventuelles sur base des résultats des analyses effectuées entre 2010 et 2019, et – d’évaluer la mise en œuvre de l’approche générale appliquée au sein de l’AFSCA pour la programmation des analyses et d’identifier les lacunes éventuelles du programme d’analyses.

Concernant la partie du programme d’analyses consacrée aux ‘plantes indésirables’, désignant la présence éventuelle de feuilles de Senecio vulgaris dans la roquette à destination de l’alimentation humaine (les feuilles contenant des alcaloïdes pyrrolizidiniques) :

étant donné qu’aucune plante indésirable n’a été détectée dans aucun échantillon, le Comité scientifique a recommandé de réduire le nombre d’analyses programmées. En ce qui concerne la roquette cultivée en plein champ, le Comité scientifique a recommandé d’adapter le nombre d’échantillons effectivement prélevés et analysés en fonction des conditions météorologiques. En effet, des conditions humides entraîneront la germination de davantage d’adventices et rendra plus difficile le désherbage, ce qui résultera en un risque accru de présence de feuilles de S. vulgaris dans la roquette.

Concernant la partie du programme d’analyses consacrée aux ‘graines indésirables’, désignant la présence éventuelle de graines de Datura spp., Ricinus communis, Crotalaria spp. et Ambrosia spp. dans les aliments pour animaux :

étant donné que des graines indésirables n’ont pratiquement pas été détectées dans la quasi-totalité des échantillons d’aliments pour animaux (taux de conformité très élevés), le Comité scientifique a recommandé de réduire le nombre d’analyses © Adobe stock

- Avis 38
Adviezen

programmées. Au sujet de la répartition des échantillons à analyser entre les différentes espèces de graines indésirables, il a recommandé que le programme d’analyses tienne compte de différents éléments tels que la taille des graines indésirables et que davantage d’analyses soient prévues sur le millet et le sorgho pour la détection de graines d’Ambrosia, Crotalaria et Datura, et sur le maïs et le soja, pour la détection de graines de Ricinus communis

Concernant la partie du programme d’analyses consacrée aux ‘toxines endogènes des plantes’ (phytotoxines dont l’acide érucique, les alcaloïdes tropaniques que sont l’atropine et la scopolamine, l’acide cyanhydrique, les alcaloïdes pyrrolizidiniques et les alcaloïdes opioïdes) :

le Comité scientifique a recommandé de réduire le nombre d’analyses programmées pour l’acide érucique et de maintenir le nombre d’analyses programmées pour les alcaloïdes tropaniques dans les préparations à base de céréales. Au sujet des autres denrées alimentaires, l’observation et l’analyse de tendances éventuelles n’a pas été possible par manque de données suffisantes dans le temps. Cependant, le Comité scientifique a recommandé de ne plus analyser l’amidon de maïs et de rediriger le nombre d’analyses sur les farines de céréales, les préparations à base de céréales, le maïs, les infusions, le sarrasin, le sorgho et le millet.

Concernant la partie du programme d’analyses consacrée aux ‘autres phytotoxines réglementées’ : les résultats d’analyses n’étant pas ou peu disponibles, l’observation et l’analyse de tendances éventuelles étaient impossibles.

En outre, le Comité scientifique a estimé qu’il était nécessaire et pertinent d’évaluer à court terme, par exemple dans les cinq ans, les futurs résultats du programme d’analyses de l’AFSCA concerné par cet avis à la lumière de l’évolution des pratiques de désherbage ainsi que du changement climatique.

AVIS 12-2022

Évaluation d’une nouvelle méthode de classification analytique pour les produits dérivés de viande (préparations de viandes – produits à base de viande)

Il a été demandé au Comité scientifique de remettre un avis sur une méthode de classification analytique pour les produits dérivés de viande, telle que décrite dans l’étude Proposal for a methodology to objectively classify meat derivatives by analysing NIR spectra before and after high-pressure treatment réalisée par l’Institute for Agrifood Research and Technology (IRTA). Il a été plus précisément demandé si cette méthode était en mesure de faire une distinction objective entre les produits dérivés de viande qualifiés de « préparations de viandes » et ceux qualifiés de « produits à base de viande » par le législateur.

Les définitions légales actuelles des termes « préparations de viandes » et « produits à base de viande » laissent en effet place à l’interprétation et ne précisent pas de méthode permettant de classer avec certitude tous les produits dérivés de viande dans l’une de ces catégories (préparations de viandes ou produits à base de viande). De ce fait, quelle que soit la méthode utilisée, la classification reste difficile pour certains cas limites. Le Comité scientifique a donc recommandé de traiter cette question au niveau européen afin d’éviter les différences d’interprétation entre États membres ou entre autorités et opérateurs.

Concernant la méthode de classification NIR proposée, le Comité scientifique a évalué que cette méthode présentait le potentiel pour permettre, dans le futur, d’établir une distinction plus objective entre les préparations de viandes et les produits à base de viande. Cependant, des recherches supplémentaires approfondies et une validation de la méthode seront nécessaires avant que celle-ci ne soit applicable de manière fiable et cohérente dans la pratique. Le modèle de classification devra également encore être renforcé sur le plan de sa robustesse en élargissant la gamme de produits dérivés de viande testée par la méthode afin de couvrir l’ensemble de la diversité de cette gamme de produits

FOOD SCIENCE 2023/1 &LAW 39

Adviezen - Avis

AVIS 13-2022

Évaluation du module GM4 « Maîtrise des agents pathogènes environnementaux dans l’industrie alimentaire »

Il a été demandé au Comité scientifique d’évaluer le module GM4 « Maîtrise des agents pathogènes environnementaux dans l’industrie alimentaire » afin de l’ajouter aux guides d›autocontrôle existants dans l’industrie alimentaire.

Le Comité scientifique a évalué le projet de texte de ce module et n’a formulé que quelques remarques afin de l’améliorer.

AVIS 14-2022

Projet d’arrêté royal relatif à la lutte contre la tuberculose bovine

La Belgique est officiellement indemne de tuberculose bovine (TBb) depuis 2003. Afin de maintenir son statut, la Belgique a mis en place un programme de surveillance coordonné par l’AFSCA en collaboration avec les associations de santé animale agréées. Le Comité scientifique a déjà émis deux avis sur le programme de lutte contre la TBb (avis 12-2016 et 08-2019). Depuis janvier 2021, un nouveau programme de lutte contre la TBb a débuté en Belgique. Depuis le 21 avril 2021, le Règlement (UE) 2016/429 du Parlement européen et du Conseil du 9 mars 2016 relatif aux maladies animales transmissibles et modifiant et abrogeant certains actes dans le domaine de la santé animale (la nouvelle loi sur la santé animale – LSA) est d’application. Le Règlement délégué (UE) 2020/689 de la Commission du 17 décembre 2019 complétant le règlement (UE) 2016/429 du Parlement européen et du Conseil en ce qui concerne les règles applicables à la surveillance, aux programmes d’éradication et au statut « indemne » de certaines maladies répertoriées et émergentes contient des dispositions spécifiques relatives à la lutte contre la tuberculose bovine. Ces règlements sont directement applicables dans le droit belge.

Par ailleurs, l’arrêté royal du 17 janvier 2021 relatif à la lutte contre la tuberculose bovine est en vigueur depuis plus d’un an et a révélé un certain nombre de lacunes ou d’imprécisions. Pour toutes ces raisons, la législation belge relative à la lutte contre la tuberculose bovine doit être modifiée et il a été demandé au Comité scientifique, d’une part, d’évaluer le projet d’AR et de vérifier si les différentes mesures de ce projet d’arrêté sont toujours pertinentes.

Différentes questions spécifiques soulevées par l’expérience sur le terrain ou l’application de la LSA ont été posées au Comité scientifique qui y a formulé une réponse :

1. Étant donné que les animaux sont destinés à l'abbatoir, le projet d'arrêté ne prévoit pas de prélèvements sanguins dans les exploitations d’engraissement de bovins ni d’élevages de veaux de boucherie. Le Comité scientifique peut-il formuler un avis sur la pertinence de cette mesure ? Quand les mesures dans une exploitation d’engraissement de bovins doivent-elles être levées ? Que faut-il faire avec le fumier ?

Compte tenu du jeune âge des veaux de boucherie et du risque réel de réactions non spécifiques avec le test de détection de l’IFNγ, le Comité scientifique n’a pas vu d’objection à lever la surveillance des veaux de boucherie avant que les animaux aillent à l’abattoir. En ce qui concerne les exploitations d’engraissement de bovins, le Comité scientifique a proposé de limiter la surveillance par sérologie et par le test de détection de l’IFNγ à la catégorie des animaux présentant le risque le plus élevé, c’est-à-dire les bovins femelles adultes de plus de 24 mois. Cependant, les animaux présents dans une exploitation d’élevage de veaux de boucherie ou dans une exploitation d’engraissement de bovins qui ont été en contact avec un foyer et/ou un animal suspect devront toujours, quel que soit leur âge, subir un test diagnostique pour déterminer leur statut infectieux. En ce qui concerne le lisier, par analogie avec l’avis 06-2019, le Comité scientifique a recommandé de stocker aussi bien le lisier que le fumier pendant au moins 6 mois avant leur utilisation.

2. L’interprétation des résultats des tests IFNγ est source de confusion sur le terrain. Le test de détection de l’IFNγ MixEC ne remplit pas son rôle de test de confirmation. Le Comité scientifique peut-il proposer une grille d’interprétation des résultats ou confirmer la grille utilisée ?

40

Le test de détection de l’IFNγ n’est utilisé en Belgique que depuis février 2021 dans le cadre de la lutte contre la TBb. Le test de détection de l’IFNγ a pu être évalué dans le cadre du traçage des contacts de 2 foyers récents, à partir desquels aucun foyer secondaire n’a été constaté. En analysant les résultats de l’IFNγ MixEC pour l’ensemble des bovins échantillonnés au cours de ces deux études, un taux de positivité élevé (5,93 % pour le foyer 1 et 3,37 % pour le foyer 2) a été observé. L’étude des résultats d’IFNγ MixEC sur les bovins positifs au test de détection de l’IFNγ PPDA-PPDB a permis de réduire le nombre de bovins considérés comme étant positifs et devant être abattus. Le suivi des fermes contact par IFNγ PPDA-PPDB a permis la détection de 30 animaux positifs sur 6232. Dix de ces animaux ont été classés positifs par le test IFNγ MixEC. Aucun de ces animaux n’a présenté de lésion suspecte à l’abattoir. Par conséquent, la stratégie de test présente une excellente spécificité (> 99,5 %). En conclusion, l’utilisation de l’IFNγ PPDA-PPDB dans le contexte belge a été un succès ; l’IFNγ MixEC permet une amélioration de la spécificité du test. Ainsi, le test de détection de l’IFNγ MixEC présente principalement une valeur ajoutée comme test de confirmation chez les bovins qui réagissent positivement à l’IFNγ PPDA-PPDB. Le Comité scientifique a toutefois recommandé d’étudier des données supplémentaires lorsque que le nouveau programme de lutte sera en place. Le Comité a aussi proposé une série de modifications à la grille d’interprétation des résultats.

3. Les bovins importés d’une zone non indemne de tuberculose sont suivis pendant 3 ans. L’administration s’est interrogée sur la raison pour laquelle les bovins ne sont pas suivis pendant 5 ans comme c’est actuellement le cas pour le suivi des bovins dans les anciens foyers, ou un suivi d’un an peut-il être considéré ?

Les données de la littérature scientifique suggèrent que si l’on se base sur le scénario le plus défavorable (c’est-à-dire des bovins provenant d’un troupeau débloqué après un foyer de longue durée), une période de surveillance de cinq ans est recommandée. Sur cette base, le Comité scientifique a donc recommandé une période de 5 ans et non de 3 pour les bovins importés d’une zone non indemne de tuberculose.

4. Tous les animaux présents dans un foyer sont actuellement abattus. Le Règlement délégué (UE) 2020/689 prévoit l’abattage des bovins dont l’infection est confirmée et des bovins qui ont un test de détection de l’IFNγ positif. Les autres bovins doivent subir 2 tests IFNγ, respectivement après 2 et 4 mois suivant l’abattage des bovins infectés ou des bovins dont les tests IFNγ sont positifs. Le coût de l’indemnisation en cas d’abattage complet est très élevé pour le Fonds. Dans son avis 08-2019, le Comité scientifique recommande un abattage complet. Cette recommandation est-elle toujours valable ou peut-on envisager des abattages partiels, et si oui, dans quelles conditions ?

Si le « stamping out » (abattage complet) reste d'application, le projet d'arrêté prévoit de ne pas effectuer de tests sanguins sur les animaux dont l’infection n’est pas confirmée. Des simulations de Monte-Carlo ont été réalisées pour estimer l’influence de l’abattage partiel sur le risque de réapparition de la TBb dans la même exploitation. En général, l’abattage partiel augmente le risque de réapparition de la TBb dans la même exploitation. L’abattage partiel entraînerait, en effet, une réduction du nombre d’animaux infectés mais, en raison de la présence potentielle d’animaux faussement négatifs, il est possible que des animaux infectés soient détectés lors des contrôles suivants (en fonction de la sensibilité du test, du nombre d’animaux présents, du nombre d’animaux faussement négatifs laissés sur place, etc.) Pour éviter cette situation, le Comité scientifique a recommandé de ne pas procéder à plus de deux abattages partiels dans un même foyer. En cas de troisième déclaration de foyer successive, un abattage complet du troupeau est recommandée. Dans le cas où tous les animaux sont abattus dans un foyer confirmé, aucun échantillon n’est actuellement prélevé sur les animaux pour le diagnostic de la TBb. Le Comité scientifique a cependant recommandé de le faire car cela peut fournir des informations importantes sur le taux d’infection dans un foyer.

5. Quels sont les risques que présentent les autres espèces sensibles présentes dans une exploitation contaminée en termes d’entretien du cycle d’infection et quelles mesures peut-on recommander à leur égard ?

Le Comité scientifique a limité sa réponse à cette question aux espèces/catégories d’animaux suivantes : animaux de compagnie (chiens et chats), petits ruminants (moutons et chèvres) et chevaux. Dans les conditions épidémiologiques belges, ces espèces sont celles qui présentent le risque le plus élevé d’entretenir le cycle d’infection de la TBb dans les exploitations bovines. Un aperçu des données de la littérature scientifique concernant les tests diagnostiques possibles dans les espèces animales concernées a été dressé. Un certain nombre de tests diagnostiques présentent un potentiel en termes de diagnostic de la TBb chez les espèces

FOOD SCIENCE 2023/1 &LAW 41

Adviezen - Avis

considérées. Cependant, malgré certains progrès au niveau de leur efficacité, peu de tests diagnostiques ont été validés pour le diagnostic de la TBb chez les animaux vivants des espèces considérées. Une surveillance passive (sur la base des signes cliniques) est donc recommandée. Si les animaux ont été en contact avec des bovins infectés par la TBb, une combinaison de tests en parallèle est recommandée, au cas par cas, éventuellement associée à l’euthanasie. Le traitement des animaux détenus infectés par la tuberculose n’est pas recommandé en raison de la transmission possible à l’homme, surtout en cas de signes cliniques respiratoires évidents. Qui plus est, le pronostic est souvent défavorable. Les mesures de maîtrise des infections tuberculeuses potentielles ont été énumérées dans l’avis.

En outre, le Comité scientifique a formulé une série de remarques sur le projet d’AR :

Dans le contexte d’une éventuelle réduction de la surveillance dans les exploitations d’engraissement de bovins (voir question spécifique 1), l’interdiction de pâturage dans ces exploitations, déjà en vigueur, a été mise en avant car il s’agit d’une mesure importante de réduction des risques en termes de propagation de la TBb. Les éleveurs doivent en être informés et recevoir des recommandations claires ;

Toutes les suspicions de TBb, tant chez les bovins que chez les autres espèces, doivent être enregistrées dans une base de données centrale qui doit pouvoir être consultée par tous les acteurs du programme de lutte ;

– L’approche de la Belgique consistant à surveiller toutes les exploitations bovines au moyen de tests sérologiques est très innovante. Cette approche vise à rechercher activement toutes les exploitations positives pour la TBb et ne vise pas à prouver que le cheptel bovin belge est indemne de TBb. Cependant, l’utilisation de tests sérologiques dans ce contexte n’a jamais été appliquée dans la lutte contre la TBb. Le Comité scientifique a donc conseillé de rester prudent et de procéder à une évaluation de cette approche après un an de développement de la stratégie de lutte.

42
© Adobe stock

AVIS 15-2022

Projet d’arrêté royal fixant les fréquences d’inspections nécessitant la présence d’un agent de l’AFSCA dans les établissements du secteur de la transformation des viandes et des poissons

Il a été demandé au Comité scientifique de remettre donner un avis sur le projet d’arrêté royal fixant les fréquences d’inspections nécessitant la présence d’un agent de l’AFSCA dans les établissements du secteur de la transformation des viandes et des poissons dans le cadre du programme de contrôle de l’Agence.

Sur base d’analyses statistiques des mesures prises par l’AFSCA dans le secteur durant la période 2018-2021, l’évaluation des courbes de tendances du nombre de mesures prises (avertissements, procès-verbal d’infraction et retrait ou suspension d’autorisation, d’agrément ou d’enregistrement) a montré qu’il n’y a pas eu de détérioration de la situation. L’évaluation a aussi montré que le nombre d’avertissements restait stable dans le temps et que le nombre de procès-verbaux d’infraction dressés pour les secteurs d’activités ayant plus de 100 opérateurs avait diminué de façon significative sur les quatre années étudiées.

Le Comité scientifique a donc remis un avis favorable sur le projet d’arrêté royal. Le Comité scientifique a toutefois recommandé de suivre l’évolution dans le temps des proportions d’opérateurs recevant des mesures de l’AFSCA (avertissements, procès-verbaux d’infraction et retrait ou suspension d’autorisation, d’agrément ou d’enregistrement) par activité et que ce suivi soit effectué régulièrement après une période de 2 ou 3 ans.

AVIS 16-2022

Réévaluation de la cotation des effets néfastes associés aux dangers dans le cadre du programme d’analyses de l’AFSCA : volet « santé animale »

Il a été demandé au Comité scientifique de remettre un avis sur la cotation des effets néfastes associés aux différents dangers (paramètres et profils de paramètres) que l’AFSCA surveille au sein de la chaîne alimentaire pour le volet « santé animale » du programme de contrôle.

Plus précisément, il lui était demandé :

de déterminer ou de réévaluer les scores attribués dans le cadre de la cotation de la gravité des effets néfastes associés aux dangers et paramètres (maladies ou groupe de maladies dans le cadre du présent avis) de la chaîne alimentaire ; – de réévaluer, si le Comité scientifique le juge nécessaire, l’approche à suivre pour déterminer le score à attribuer dans le cadre de la cotation de la gravité des effets néfastes.

Le Comité scientifique a proposé un nombre limité de modifications concernant la cotation des effets néfastes associés à certains paramètres dans le cadre du programme d’analyses pour le volet « santé animale » du programme de contrôle. Il a également recommandé d’indiquer la ou les espèces animales sensibles pour chaque paramètre/pathogène. En effet, certains agents pathogènes peuvent infecter différentes espèces animales bien que la gravité du tableau clinique ne soit pas nécessairement la même selon ces espèces. Le Comité scientifique a fait remarquer qu’un certain nombre de paramètres sont des pathogènes pour lesquels un programme de contrôle ou d’éradication est en vigueur en Belgique (par exemple IBR, BVD, Brucellose, etc.) et que de nombreux échantillons sont déjà prélevés dans le cadre de ces programmes. Le Comité scientifique a donc recommandé d’étudier de manière approfondie l’utilité d’un éventuel échantillonnage supplémentaire pour ces pathogènes dans le cadre du programme d’analyse de l’AFSCA.

FOOD SCIENCE 2023/1 &LAW 43

Wetgeving – Législation

Wetgeving – Législation

Nieuwigheden in de Belgische en Europese

wetgeving met betrekking tot de voedselketen

Periode 1 oktober 2022 tot en met 31 december 2022

Dominique Devos

Hieronder vindt u een selectie uit de wetgeving die gepubliceerd werd voor België en Europa tussen 1 oktober en 31 december 2022. De redactie benadrukt dat het gaat om een eigen selectie van de wetgeving die we relevant achten voor ons lezerspubliek.

Selectie Belgische/regionale regelgeving

Besluit van de Waalse Regering van 13 oktober 2022 inzake de biologische productie en etikettering van biologische producten en tot opheffing van het besluit van de Waalse Regering van 11 februari 2010 inzake de productiemethode en etikettering van biologische producten (BS 7 december 2022)

Het betreft de vervanging van een vroeger besluit van de Waalse regering en dit in uitvoering van Verordening (EU) nr. 2018/848 van het Europees Parlement en de Raad van 30 mei 2018 inzake de biologische productie en de etikettering van biologische producten en tot intrekking van verordening (EG) nr. 834/2007 van de Raad (de bioverordening) en van Verordening (EU) 2017/625 van het Parlement en van de Raad van 15 maart 2017 (de verordening officiële controles).

Om tot het biologische controle- en certificeringssysteem toe te treden, dienen operatoren en groepen operatoren met één of meerdere activiteitsvestigingen in de biologische productie op het grondgebied van het Waalse Gewest, alvorens producten als biologische producten of als producten in omschakeling of vóór de omschakelingsperiode in de handel te brengen, hun activiteiten te melden aan de Dienst, zijnde de Directie Kwaliteit en Dierenwelzijn van de Waalse Overheidsdienst Landbouw, Natuurlijke Hulpbronnen en Leefmilieu.

De 9 bijlagen bij het besluit werden gepubliceerd in het B.S. van 20 januari 2023, ed. 1.

Eerder verscheen ook al het gelijkaardige Besluit van de Vlaamse Regering van 29 oktober 2021 over de biologische productie en de etikettering van biologische producten (BS 15 december 2021).

De officiële wetteksten kunnen integraal worden geraadpleegd op de website Warenwetgeving Online/Législation Alimentaire OnLine (www.warenwetgeving.be).

44
© Adobe stock © Adobe stock Die Keure wil het milieu beschermen. Daarom kiezen wij bewust voor papier dat het keurmerk van de Forest Stewardship Council® (FSC®) draagt. Dit product is gemaakt van materiaal afkomstig uit goed beheerde, FSC®-gecertificeerde bossen en andere gecontroleerde bronnen.

Turn static files into dynamic content formats.

Create a flipbook
Issuu converts static files into: digital portfolios, online yearbooks, online catalogs, digital photo albums and more. Sign up and create your flipbook.