

E-JOURNAL ESZTÉTIKA
A FOGÁSZAT
„A szakma iránti csodálat motivál…”
Diasztémazárás direkt „kétmatricás” technika alkalmazásával
Abradált frontfogakkal rendelkező felnőtt páciens interdiszciplináris kezelése
Gazdaságosság, esztétika és természetes fogak példaképpen
AZ ALPHA IMPLANT KFT. MÁR 15 ÉVE AZ ÖN MEGBÍZHATÓ PARTNERE
A minőség a siker garanciája




Tisztelt Olvasó!
2024-re a fogászati szektor – reményeink szerint – fel tudta dolgozni a Covid-19 okozta nehézségeket, az elszabaduló inflációt, és már tervezi az idei év fejlődési lehetőségeit. Mindannyian abban bízunk, hogy megérkeznek az európai uniós források, újra indulnak a pályázatok, és stabilan tudjuk vezetni a vállalkozásinkat!
A tavalyi év sokunk életében hozott különböző nehézségeket, mégis elmondhatjuk, hogy mindenképp jobb volt, mind a 2020-2022 közötti időszak, amikor a létbizonytalanság, a járványtól való félelem uralta a napjainkat. Az idegenforgalom tavaly szépen megindult, 2024-ben a vendégéjszakák száma várhatólag el éri a 2019-es év adatait. A nagy rendelők már teljes kapacitással üzemelnek, a fogtechnikai laborokban is visszatért a folyamatosság, a fogászati kereskedők jelentős része pedig jobb évet zárt 2023-ban, mint a korábbi években.
A fogászati rendelők és fogtechnikai laborok az elmúlt években főleg a fejlesztéseket állították előtérbe, amelyhez számos pályázat és egyéb forrás is kedvező konstrukciókat kínált. 2024-ben – tudomásunk szerint – is lesznek új pályázati források, melyekről a kereskedelmi vállalatok részletesebb információkat tudnak majd adni. Az új források bevezetése idén már bizonyosan ismét növekedési spirálba helyezi majd ezt a szektort!
Az infláció elérte a fogászati ágazatot is, a vállalkozások az euro változásától, gyengülésétől függően azzal találkoznak, hogy az árak – a mindennapi élet mellett – itt is jelentősen és folyamatos változnak, emelkednek. A fogászati rendelők is kénytelenek az áraikat emelni, egyre több rendelő, ún. „piaci alapú” árképzést vezet be. A folyamat kimenetelét még nem lehet pontosan látni, a munkaerő fluktuációja, az Európai Unió áraihoz képest alacsony magyar fogászati beavatkozások értéke - jelenleg még nem érte el a drágulás csúcspontját. Az elmúlt időszakban számos újság, cikk foglalkozott a fogászati szektorban található extra drágulási folyamattal. Ez egyelőre - a hazai rendelőkben - még nem mutatott jelentős problémát, új hívószavakkal, sok marketing munkával, reklámmal most a magyar lakosságot kell határozottabban a rendelőkbe invitálni!
A kiadó bizakodva tekint a jövőbe, a megújult tartalmaink kapcsán sok pozitív visszajelzést kapunk,

melyeket nagyon köszönünk! Az elmúlt években - a nehézségek ellenére is - növelni tudtuk a kiadványaink, a magazinjaink számát, nem csökkentve azok tartalmi minőségét. 2020 óta a tematikus e-Journalok is folyamatosan megjelennek, melyek egyfajta online könyvtárként is szolgálnak az olvasóinknak. A dental. hu oldalon díjmentesen elérhetőek a korábbi tematikus online lapszámaink is.
A mostani kiadványunkban az általános fogorvosi eljárások mellett az esztétika témakörével foglalkozunk. Tartalmas olvasást kívánok!
Laczkó Tamás, felelős kiadó
VII. évfolyam, 2024. 9. szám
Kiadja: DP Hungary Kft. 1012 Budapest, Kuny Domokos u. 9.
Felelős kiadó: Laczkó Tamás
Főszerkesztő: Dr. Riba Magdolna
Előkészítés:
DP Hungary Kft., Sárközi András e-mail: grafika@dental.hu
Információ, hirdetésfelvétel: Bárdos Veronika, telefon: 06-30-472-0030, 06-1-793-1874
Az újság e-mail címe: info@dental.hu
Az újság internetcíme: www.dental.hu
Terjesztés: E-mail hírlevél formájában.
A tudományos közleményeket a szerkesztőség lektoroknak adja át véleményezésre. Közlés csak egyetértő lektori vélemény, illetve a javasolt módosítások elvégzését követően lehetséges.
A cikkek szerzői vállalják, hogy az általuk elküldött írás saját forrásból származik, illetve a felhasznált anyagokat (publikációkat, illusztrációkat, képeket stb.) mindenkor pontosan feltüntetik. Írásaiknak jogi és egyéb adatvédelmi kérdéseiben felelősséget vállalnak.
A német nyelvű szakmai cikkeink magyar fordítását az Oemus Media AG Kiadó engedélyével szerkesztettük lapunkba. A fel nem használt kéziratokat, fotókat nem őrizzük meg, és nem küldjük vissza.
A hirdetések tartalmáért nem vállalunk felelősséget. A gyártó, illetve forgalmazó cégek kérésére közzétett cikkeket keretbe foglalva közöljük és (x)-szel jelöljük, azok szakmai tartalmáért a szerkesztőbizottság nem vállal felelősséget.
Kónuszos felépítmény kapcsolat
Kisebb mikromozgás

Erősebb és egyenletesebb csatlakozás
Platform switching



Prof. dr. Hermann Péter
„A SZAKMA IRÁNTI CSODÁLAT MOTIVÁL…”
Dr. Felkai Tamás 1984-ben szerezte fogorvos doktori diplomáját a Semmelweis Orvostudományi Egyetemen. Életére a „keretes szerkezet” jellemző, az egyetem elvégzése után pályafutását a klinikán kezdte, majd jött 35 év ausztriai élet, de az utóbbi években a sankt pölteni praxis mellett ismét részt vesz a Semmelweis Egyetem oktató-betegellátó munkájában. Magyarországon ő vezette be a sínes fogszabályozó technikát, és elsőként (eddig egyedüliként) szerezte meg az aligner fogszabályozás területén működő európai társaság szakmai kiválóságot igazoló oklevelét. Az Alsó-Ausztriában végzett szakmai és szakmapolitikai tevékenységéért 2023-ban az osztrák köztársasági elnök orvostanácsossá (Medizinalrat) nevezte ki.

Szüleid általános orvosok voltak, és bátyád is az aneszteziológia és intenzív terápia szakorvosa. Amikor érettségi idején be kellett jelölni a továbbtanulási szándékot, honnan jött, hogy fogorvos szeretnél lenni?
Való igaz, a szűkebb családban mindenki, de még a sógornőm is orvos volt. A vasárnapi közös ebédek, családi együttlétek így kissé egy interdiszciplináris workshopra hasonlítottak, amibe nem nagyon tudtam belefolyni. Eleinte inkább a külgazdasági pálya vonzott, de miután szerettem modellezni és apró dolgokkal pepecselni, később ötvös akartam lenni. Végül csak megszólalt „a vér szava”, de a medicina olyan területét szerettem volna választani, ami elsősorban manuális, jól körülhatárolt, még nincs a családban, és csak az enyém.
Végzés után a Semmelweis Egyetemen, a Gyermekfogászati és Fogszabályozási Klinikán kaptál állást. Mikor határoztad el, hogy fogszabályozással szeretnél foglalkozni?
Harmadéves koromban. Akkor saját magam is átestem egy rögzített fogszabályozó kezelésen, és ez a diszciplína egyszerűen elbűvölt. Szerelem lett első „látásra”, amely azóta is tart. A sokrétűség, a tervezés és a gondolkodás szükségessége, a nagyobb egész látásának fontossága rabul ejtett. De hatalmába kerített a klinikai légkör is, a kollégákkal való közös munka és gondolkodás élvezete Az már a jóisten, a szerencse és Dénes professzor úr megelőlegezett bizalma volt, hogy azóta is – immár 39 éve – kizárólag ezen a pályán dolgozhatok.
Viszonylag hamar – a diploma megszerzését követően 5 év múlva – külföldre mentél dolgozni. Ezen ma már senki nem kapja fel a fejét, ez mindennapos lehetősége a kollégáknak, de 1989-ben ez egyáltalán nem volt megszokott. Aki 1989 előtt ezt az utat választotta, azt úgy mondták, hogy diszszidált, de én úgy tudom, Te voltál az első, aki engedéllyel mehetett külföldre munkát vállalni. Mi motivált a külföldi munkavállalásban és miért Ausztria, és miért Bécs?
Igen, ma már a külföldi munkavállalás egy valós alternatíva, bár annak szakmai szükségessége kisebb, hiszen itthon is, az online térben, no meg a szinte korlátlanul igénybevehető külföldi továbbképzések során megszerezhető a tudás. Akkoriban, 1989-ben ez még nem így volt, és senki sem sejtette, hogy milyen lehetőségek nyílnak majd meg.
Én akkor még fiatal, független voltam, és egyedülálló lehetőségnek tűnt külföldön megtanulni a szakmát és egy nyelvet, és amikor kimentem, még egy mukkot se beszéltem németül. Szerencsémre pont akkor változtak a „szabályok”, és az én esetem már hivatalos külföldi munkavállalásnak minősült. Akkori főnököm, Dénes József professzor ismét megmutatta emberi nagyságát, és maximálisan támogatott ebben. Hogy miért Bécs? Onnan kaptam felkérést. A Bécsi Területi Egészségbiztosítónak volt egy külön fogszabályozási osztálya, oda kerestek munkatársat. Szakmailag akkor egy új világ nyílt meg előttem. Bár párhuzamosan kellett tanulnom a
nyelvet is, de olyan forrásokhoz jutottam hozzá, olyan módszereket próbálhattam ki, amelyekről akkoriban Magyarországon még álmodni sem lehetett.
A rendszerváltás idején nagyon korán hoztad meg a távozásról a döntést, és tulajdonképpen innentől nagyon nehéz eldönteni – még saját magadnak is megválaszolni –, hogy valaki jó döntést hozott, vagy a választását követően csak „futott a pénze után”.
Számomra ez akkor nem távozás volt, ami nem is hozott döntéskényszerbe. Teljesen legálisan dolgoztam külföldön, ahonnan minden hétvégén haza tudtam jönni. Valójában még közelebb is volt, mintha Magyarország keleti határszélén dolgoztam volna. Tehát nem szakadtam el a családomtól és a barátaimtól. Viszont lehetőségem volt tanulni, fejlődni és olyan módszerekkel megismerkedni, amelyek az akkori magyar szakmai életben még teljesen ismeretlenek voltak. Ennek a folyamatnak a része lett egy magánrendelő megnyitása, ami a súlypontot teljesen Ausztriába tette, és természetesen később a család és a gyerekek, akiknek állandóság kellett. De ezzel együtt se lettünk „külföldiek”, nagyon gyakran jöttünk haza. A lányaimnak is rengeteg kötődése van Magyarországhoz, és természetesen anyanyelvi szinten beszélnek magyarul. Hol itt a távozás?
Egy néhány év bécsi munka után váltottál, és nem hazafelé jöttél, hanem egy tartományi székhelyen, Sankt Pöltenben telepedtél le a családoddal, nyitottál egy kifejezetten fogszabályozásra szakosodott rendelőt. Miért hagytad ott Bécset, és miért pont Alsó-Ausztria fővárosát választottad? Tíz év után egy „állami” intézményben elértem a szakmai fejlődés ottani határát. Közben megszereztem az általános orvosi diplomát is a bécsi egyetemen, ami akkor előfeltétele volt egy magánpraxis nyitásának. Eljött az ideje a szakmai továbblépésnek, ami csak akkor válhatott lehetségessé, ha a magam urává válok, ennek minden terhével együtt. Viszont mégiscsak idegenként, nem akartam beállni a konkurenciaharc által hajtott „taposómalomba”, és kiszolgáltatni magam az anyagi kényszerítettségből fakadó szakmai kompromiszszumoknak. Bécsben akkor ez volt az alaphelyzet, tehát inkább a „vidék” felé fordultam. Mivel közel akartam maradni a hazámhoz, Nyugat-Ausztria nem jött szóba. Némi piackutatás után kiderült, hogy Sankt Pöltenben, sőt a környékén sincs kizárólag a fogszabályozásra specializálódott szakrendelő, tehát a logikus választás erre a városra esett. Mint utóbb kiderült, jó döntés volt. Megtanulhattam és gyakorolhattam olyan, az állami betegellátásban nem kivitelezhető kezelési módszereket, mint pl. a linguális orthodoncia, vagy az aligneres terápia.
Mivel volt szerencsém többször meglátogatni a rendelődben, tudom tanúsítani, hogy nagyon színvonalas, szakmailag kifejezetten tudományos igénnyel működtetett praxist vezetsz. Mi motivál, amikor a szigorú dokumentációs szabályokat még az előírásnál is pontosabban tartod be, minden minta, minden kiértékelés abc-be rendezve, évtizedekre visszamenően visszakereshetőek nálad?
A szakma iránti csodálat motivál. Még mindig elkápráztatnak a jó és a kevésbé jó eredmények, valamint az oda vezető

út. A tanulás és a fejlődés feltétele, hogy az ember okuljon a saját hibáiból, és ez kizárólag a pontos dokumentáción keresztül lehetséges. Ebből kialakult egy olyan szakmai adattár, amit a tanuláson kívül fel tudok használni az előadásaimban, oktatásaimban is, és aminek minden részletéhez személyes emlékek, jó vagy rossz tapasztalatok kötnek.
Mindig megmaradt az egyetem, az oktatás iránti érdeklődésed, az évek, évtizedek alatt összegyűjtött tudás átadásának vágya, szeretete. Több olyan fogszabályozási technika is van, amit először Te mutattál meg a magyarországi szakembereknek. Hogyan fogadják, amikor tanácsot szeretnél adni, nincs „messziről jött ember” effektus? Néhány évvel ezelőtt vállaltad, hogy részállásban dolgozz a Semmelweis Egyetem Gyermekfogászati és Fogszabályozási Klinikán. Mi motivált abban, hogy ha részben ugyan, de visszatérj az egyetemre?
A fő motivációm az általad pontosan megfogalmazott vágy, az összegyűlt tapasztalat és talán tudás átadására. Bár tudom, hogy a legjobban mindenki a saját hibáiból tanul, mégis szeretném ezeket az elkerülhető hibákat megspórolni a fiatalabb kollégáknak és a pácienseknek egyaránt. Erre a közlésvágyra felfigyeltek először az egyes cégek, később

Az orvostanácsosi kinevezés átvétele dr. Johanna Mikl-Leitner, Alsó-Ausztria tartományfőnökének társaságában.
Előadás a Semmelweis Nyári Egyetemen 2023-ban.
az ausztriai szakmai grémiumok is. Úgy tűnik, szükség van a tapasztalatok átadására, ezért folyamatosan kapom a felkéréseket a különböző nemzetközi konferenciákon való előadásokra, kurzusok tartására. Amikor előadás közben „elragad a hév”, akkor talán a szakma iránt még mindig meglévő szerelem is átjön. Persze nehezen lehet az ember próféta a saját hazájában, ezt néha megérzem én is. De hiszem, hogy az üzenet előbbutóbb meghallgatásra kerül, főleg, ha ezt más források is megerősítik. Az egyetem pedig mindig is a „szívem csücske” maradt, és lehet-e nagyobb megtiszteltetés, mint ha az ember a régi alma máterében adhatja vissza azt a tudást, amelynek az alapjait ott kapta. A Semmelweis Egyetem igényli, sőt lehetőséget biztosít arra, hogy segítsem a digitális orthodoncia, és ezen belül főleg az aligneres terápia fejlődését, oktatását és elterjedését.

Ha már az aligneres terápiát említetted, úgy két évtizeddel ezelőtt, a kort messze megelőzve – akkor már jó néhány esettel a hátad mögött – egy továbbképzésen bemutattad a sínes fogszabályozást. Akkor sokan kétkedve fogadták az új technikát, de a bemutatott eredmények, és az azóta már ezer körüli sikeres, befejezett eseted igazolja, hogy ez reális kezelési alternatíva. Elfogadják már a magyar kollégák az aligner technológiát, vagy van még idegenkedés vele szemben?
Egy nagy német gondolkodó szerint minden újdonság a reakció három fázisát váltja ki: először a tagadást, majd a nevetségessé tételt, és végül a magától értetődő elfogadást. Így volt ez az aligneres kezelésekkel is, világszerte, nem csak Magyarországon. De, „amikor egy újítás utánzás révén csöndben elterjed, azt bátran nevezhetjük társadalmi evolúciónak.” (Gabriel Tarde) Nos, az aligneres technológia mondhatni viharos gyorsasággal, és nem csendben terjedt el, ma már nemzetközi szinten elismert kezelési forma. Viszonylagos újdonsága miatt (az első aligneres kezelések 1997-ben kezdődtek) még sok a kutatni és felfedezni való benne. Ez egyaránt inspirálja a szakma „nagy öregjeit” és a fiatal kollégákat. Ez így van Magyarországon is. A nagy szakmai ta-
pasztalattal rendelkező kollégák már nem kérdőjelezik meg ennek a terápiának a használhatóságát, a fiatal orthodontusok pedig magától értetődően tanulják és alkalmazzák ezt a kezelési formát.
Elsőként és eddig egyedüliként neked sikerült az Európai Aligner Társaság 2023as torinói konferenciájának során szervezett szakmai vizsgát letenni az aligner technológiás kezelésekből. Miből állt a vizsga, és hányan szereztetek ilyen diplomát Európában?
Az Európai Orthodonciai Testület (EBO) mintájára 2023-ban létrejött az Európai Aligneres Orthodonciai Testület (EBAO). Ennek a testületnek a célja, hogy egy nagyon magas szintű megmérettetés után igazolja a jelentkező aligneres technikában való szakmai kiválóságát. A vizsga során a jelölt bemutat öt általa kiválasztott esetet az orthodoncia minden területét felölelő eltérések kezeléséből, melyet a vizsgabizottság elbírál. Ez így, első hallásra nem tűnik soknak, de a követelmények annyira magasak, hogy csak az tudja teljesíteni, aki már nagyon sok esetet kezelt és dokumentált a kívánt szinten. Nekem majdnem egy évembe került a sok száz kezelt esetből azt az ötöt kiválasztani, amelyik megfelelt az elvárásoknak. A tökéletes eredmény mellett alapkövetelmény volt a tökéletes dokumentáció is. A nehézséget az okozta, hogy a legkisebb kezelési vagy dokumentációs hiba, pl. egy életlen fotó már diszkvalifikálta az esetet, és újat kellett keresni. Az öt megfelelő eset kiválasztásához gyakorlatilag át kellett néznem az összes általam kezelt esetet, és pont ez ennek a vizsgának a lényege. A keresés kapcsán megláttam az elkövetett hibákat, és rengeteget tanultam belőlük.
Az EBAO – nevével ellentétben – az egész világon egyedülálló szervezet, ennek megfelelően Japántól Olaszországig voltak jelentkezők az első vizsgára, szám szerint 17-en. Ebből tizenötünknek sikerült megütni a mércét, két kollégát elutasítottak.
Furcsa helyzet van kialakulóban a fogszabályozásban. Tulajdonképpen (nyilván sarkítva egy kicsit a helyzetet) az kijelenthető, hogy rögzített fogszabályozó kezelést szinte csak fogszabályozó szakorvosok végeznek, viszont az új, sínes fogszabályozásnál (elsősorban a cégek ösztönzésére) látszik az a tendencia, hogy fogszabályozó szakképesítés nélkül is belevágnak a kezelésbe kollégák. Jól látom ezt a folyamatot, és ha igen, mi a véleményed erről, a mesterséges intelligencia tudja-e kompenzálni az esetleges szakmai hiányosságot, és így végül a páciens ugyanolyan kezelésben részesül, mintha szakorvos kezelte volna?

Sajnos tényleg jól látod ezt a trendet. Feltételezésedet kiegészíteném azzal, hogy az aligneres, „láthatatlan” fogszabályozás
John Mortonnal, az AligTech senior mérnökével.
A torinói egyetem Masters of Aligner kurzusának előadójaként.

iránti igényt nem csak a cégek fűtik, de a mindenütt jelenlévő közösségi média is. Még soha nem volt egy – a páciensek számára főleg esztétikai – probléma megoldása ilyen vonzó és elérhető. A kezelés látszólagos egyszerűsége, népszerűsége és lukrativitása pedig arra csábít, hogy nem szakértő kollégák is részt kérjenek a tortából. A digitális kezelési tervet összeállító szoftver – még a legjobb is – csak általános tapasztalatok alapján működő algoritmusokkal dolgozik, és nagyon sok lényeges mozzanatot, individuális sajátosságot nem vesz figyelembe. A helyzetet rontja, hogy ebbe a nagyon digitalizált technológiába a mesterséges intelligencia észrevétlenül integrálódik, azt a benyomást keltve, hogy helyettesíteni tudja a szakértelmet. Ennek hiánya pedig téves diagnózist, és nem reális fogmozgatásokat eredményez. Ezt a látszólagos egyszerűséget használják ki egyes startup cégek, melyek gazdasági megfontolások alapján a leginkább költségeset, de legfontosabbat hagyják ki a dologból: a szakértelmet. A kizárólag az interneten keresztül megrendelt, közvetlenül a „vevőknek” kiszállított sínekkel lebonyolított „kezelések” során a hiszékeny páciens nemhogy fogszabályzóval, de még fogorvossal sem találkozik! Az eredmények pedig katasztrofálisak, ezek a „kezelések” sokkal több kárt okoznak, mint az eredeti probléma. Ennél egy fokkal még az is jobb, ha szakképesítéssel nem rendelkező kollégák vágnak bele a kezelésbe feltéve, hogy ismerik saját szakmai korlátjaikat, és megfelelő szakirányú továbbképzéseken megszerzik a szükséges ismereteket, tapasztalatokat.
Az életpályádból úgy tűnik, hogy mindig keresel valami újat. Melyek a további terveid?
Ez valóban így van. Egy orthodontusagynak mindig vannak tervei, és keresi az újabb és újabb lehetőségeket. Ami engem illet, legjobban az orthodoncia digitalizálásának további kiterjesztése, a jelenleg egymástól távol eső lehetőségek összekapcsolása érdekel. Szemtanúi lehetünk annak, hogy társdiszciplínák, de a szakmától nagyon távoli technológiák biliárdeffektusént hatnak egymásra, olyan dolgok kapcsolódnak össze, amiknek látszólag semmi közük nincs egymáshoz, hogy csak a 3D vagy 4D nyomtatást, vagy éppen a távellenőrzést említsem.
A másik dolog, ahol magamat a jövőben látom, az az oktatás. A nyomtatott és online szakirodalom elképesztő méreteket öltött, napi 24 órában lehetne csak a szakirodalommal foglalkozni. Amit viszont ritkábban lehet találni az irodalomban, az a napi gyakorlat, a tapasztalati tények. Márpedig az evidence-based tudás piramisának alapját – és ez a legszélesebb – a klinikai tapasztalatok adják. Az elmúlt évtizedekben összegyűjtött gyakorlati tapasztalataimat kár lenne veszni hagyni, ezeket szívesen átadnám a következő generációknak. De a rapid fejlődésnek van egy másik oldala is! Azt már tudjuk, hogy a technikai lehetőségeinknek csak a fantázia hiánya szab határt. Viszont az is igaz, hogy nem mindent kell megcsinálni, amit meg lehet csinálni. A szakmai tapasztalat az, ami tanácsot ad abban, hogy mit érdemes megcsinálni, megpróbálni. Hát, ebben látom az én szerepemet az oktatás keretén belül.
Csaknem négy évtizede dolgozol fogszabályozóként. A szakmai fejlődésed és a tapasztalataid alapján kialakult-e valamiféle ars poeticád a hivatásoddal kapcsolatban?
Négy évtized egy jól körülhatárolható pályán óhatatlanul belső változásokkal jár. Pályafutásom kezdetén még meszsze nem álltak olyan lehetőségek a rendelkezésemre, mint manapság. Tapasztalatom se volt, csak a lelkesedés fűtött és a frissen tanultak vezéreltek. Amit már nagyon korán észrevettem, és azóta is élvezek, az a változatosság. Már az elején tudtam, hogy számomra a munkám soha nem lesz egyhangú vagy unalmas. Mint minden szakmában, az orthodonciában is vannak típusesetek és rutineljárások. Ami a számomra azóta is elkápráztató, hogy ezen belül is minden egyes eset valamelyest más, valamilyen formában különleges. Ebből kifolyólag minden eset tartogat kihívást, egyéni gondolkodást és tervezést.

Az ismeretek és tapasztalatok gyarapodásával, az egyre fejlettebb diagnosztikai eszközökkel és eljárásokkal megnő a csábítás a szubrutinok alkalmazására. Az én ars poeticám lényege pontosan ennek a tagadása. Számomra továbbra is a legfontosabb az individualitás. Nem látom bele a pácienseimet egy táblázatba, nem sorolom be őket egy sémába. Használom a bevált diagnosztikai eszközöket, de csupán mint egy szintézis részét. Az összkép kialakításánál ugyanolyan fontos számomra a páciens egyénisége, mint a szűken vett szakmai ismérveken túli esztétikája - a saját, egyéni esztétikája is. Hála istennek, az évek során rátaláltam az ehhez passzoló orthodonciai filozófiára, az Andrews-féle Orofaciális Harmónia elméletére. Többek közt ezért is szeretem annyira az aligner terápiát, mert lehetőséget ad, sőt, szükségessé teszi az individuális megoldások keresését.
A másik dolog pedig a páciensekkel való kommunikáció. Egy orthodonciai kezelés mindig hosszabb távú, hónapokban, de inkább években mérhető. Külön ajándéka ennek a hivatásnak, hogy lehetőség nyílik valódi emberi kapcsolatok kialakítására a páciensekkel. Részévé válunk az életüknek, és ők is a miénknek. Látjuk, ahogy a „gyerkőcből” kamasz, majd öntudatos fiatal lesz, ahogy egy visszahúzódó egyéniség a kezünk nyomán megváltozik, kivirágzik. Lehetőségünk adatik nem csupán egy fogsor kezelésére, de egy valódi, őszinte mosoly megteremtésére, és ezen keresztül néha egy egyéniség, egy élet megváltoztatására. Ez a mi valódi jutalmunk és ez az én ars poeticám!
Tamás, köszönöm a beszélgetést és kívánom – ahogy mondtad –, hogy sikerüljön sok gyerkőc életét jobbá tenni, és legyen a jutalmad sok őszinte mosoly!
Dr. Donna Galante-val egy madridi mesterkurzuson, 2018-ban.



























Fogászati Konferencia

Hungexpo 2025. március 21-22.







„Fontosnak tartom, hogy a gyógyító embernek legyen szakmai és erkölcsietikai értékrendje…”
„Annyit szeretnék elérni, hogy lehetőségeimhez képest minden esetből kihozzam a maximumot…” PORTRÉ























SZAT






ESETISMERTETÉS


fogászat iránt érdeklődő kollégák tájékoztatása a legújabb eredményekről…”






„A digitális tudomány legmagasabb szintjének Magyarországra történő irányításában sok lehetőséget látok…”



Vezérelt implantológia teljes házon belüli digitális folyamattal

ESETISMERTETÉS Komplex esetek multidiszciplináris megközelítéssel
történő ellátása

















Dr. Akimasa Tsujimoto, dr. Ahmad Alkhazaleh (USA)
FLUOROSISOS FOLTOK KONZERVATÍV
TERÁPIÁVAL TÖRTÉNŐ ESZTÉTIKUS
HELYREÁLLÍTÁSA
Bevezetés
A zománcot érintő fluorosis egy olyan pathológiás elváltozás, amely negatív módon befolyásolja a szervetlen összetevők zománcrétegbe történő beépülését és ezen szervetlen öszszetevők struktúráját. Ennek következményeként a zománcban hypomineralizált területek jönnek létre. Annak ellenére, hogy a külsőleg alkalmazott fluoridnak vitathatatlan szerepe van a fogakat alkotó kemény szövetek remineralizációjában, közvetlen összefüggést mutattak ki a fogazat fejlődése során bevitt fluor mennyisége (és gyakorisága), valamint a fogakat érintő fluorosis súlyossága között. A zománcréteget érintő flurosis súlyosságának függvényében változik az érintett terület vastagsága. Súlyos esetekben a zománcréteg teljes vastagságában érintett, amely a zománc kifejezett mértékű porozitását eredményezi, amelynek következtében az rendkívül sérülékennyé válik, és az érintett fogak előtörését követően szinte garantáltan eltörik vagy megreped. Klinikailag az elváltozást a zománcrétegek között látható fehéres, sárgás vagy barnás elszíneződések jellemzik, illetve ezeknek megfelelően a zománcfelszínen kisebb behúzódások is megjelenhetnek.

Szövettanilag a zománcot alkotó vázfehérjéket, mint például az amelogenint, az ameloblastok hozzák létre és ezek a még éretlen zománcrétegekbe kerülve ott lerakódnak. A zománc érése során ezeket a fehérjéket a proteázok fokozatosan lebontják és a helyüket hydroxiapatit veszi át. Fluorosis esetén a fluoridionok a kalciumionokhoz képest nagyobb koncentrációban vannak jelen, amely negatívan befolyásolja a proteázok aktivitását. Ennek következtében nagyobb mennyiségű fehérje és víz marad vissza a zománcrétegek között, amely pedig az adott terület alacsonyabb fokú mineralizáltságát és fokozottabb porozitását eredményezi.
Többféle kezelési lehetőség is rendelkezésünkre áll a fluorosisos következtében kialakult zománcelszíneződések kezelésére. A terápiás spektrum az ultrakonzervatív lokális fogfehérítéstől kezdve egészen a fog koronával való ellátásáig terjed. Ezen végletek között található a rezin infiltráció, a zománc mikro- és makroabráziója, valamint minimálinvazív héjak készítése. Ezek mind reális klinikai lehetőségek a színbeli eltérések korrekciójára. Ezek közül a legmegfelelőbb terápiás modalitás meghatározása elsősorban az érintett terület kiterjedésétől és mélységétől függ. Ezen felül a kezelést végző orvos gyakorlati tapasztalata és a páciens kívánságai

1. a–b. ábra: A frontfogakról készült intraorális felvétel. Fogfehérítés előtt (a) és után (b).



2. a–c ábra: A felső nagymetszőfogakról resin infiltrációs kezelés előtt készített felvételek. Jól megfigyelhető a fluorosisos foltok és az egészséges zománcfelszín között látható színbeli eltérés. Frontális (a), jobb (b) és bal (c) oldali felvétel.


3. a–b ábra: A felső nagymetsző fogak különböző színű lencséken keresztül történő átvilágítása során jól megfigyelhetőek a fluorosisos elváltozásoknak megfelelően látható színbeli eltérések. Ezek nagysága és színe a léziók kiterjedésére és mélységére utal. Zöld lencsén keresztül történő megvilágítás (a), narancssárga lencsén keresztül történő megvilágítás (b). A színbeli eltérések intenzitása és elhelyezkedése mindkét lencse esetében megegyezik. Az átvilágítás során megállapítottuk, hogy a bal oldali nagymetszőn némileg mélyebb léziók találhatóak.
is befolyásolják a választott terápiát. A középsúlyos eseteknél még a fogfehérítés is megfelelő terápia lehet, mivel a kezelés hatására a fluorosisos foltok sokkal kevésbé fognak kitűnni az egészséges zománcfelszínből, de komoly elszíneződések esetén ez a megoldás már nem jön szóba. Az enyhe és középsúlyos eseteknél, amennyiben szükség van rá, a fogfehérítés után látható esztétikai eredményt tovább lehet javítani resin infiltráció, zománc mikro- vagy makroabrázió végzésével, vagy kompozit- vagy porcelánhéjak készítésével, esetleg ezek kombinációjával. Azonban a mély léziók esztétikus ellátása jelentős kihívást jelent a kezelést végző orvosok számára, és sokszor csak invazívabb beavatkozások, mint például teljes borítókoronák készítésével lehet megfelelő módon ellátni ezeket az eseteket. A fluorosissal érintett fogak fehérítését otthoni és rendelői körülmények között is el lehet végezni. Statisztikai szempontból mindkét módszer hasonló hosszú távú sikerességgel rendelkezik. A rezin infiltráció során a zománcfelszín 15%-os hidrofolysavval történő előkészítését követően egy alacsony viszkozitású fotopolimerizációs rezint viszünk fel az érintett területre. A hidrofolysavval történő előkészítés lényege, hogy a sav egyszeri applikálását követően a zománc nagyjából 37–58 µm mélységben feloldódik, így a mélyebben elhelyezkedő fluorosisos foltokat is jobban eléri a resin. Ezt az eljárást eredetileg a kezdeti stádiumban lévő szuvasságok (caries incipiens) konzervatív ellátási lehetőségére fejlesztették ki, azonban idővel elegendő klinikai szempontból releváns adat gyűlt össze, amely megfelelően alátámasztotta, hogy ez a technika képes a hypomineralizált zománcterületeknek megfelelően látható opacitásbeli különbségek maszkolására. Az eljárás mögött álló elmélet szerint a fehéres zománcelszíneződések ellátása során alkalmazott rezin feltölti és ezáltal megszünteti a zománcban lévő porozitásokat. A rezin refrakciós indexe (RI) közelebb áll az egészséges zománcéhoz (egészséges zománc RI = 1,62; rezin RI = 1,42), mint a levegő (RI = 1,00) vagy a víz (RI = 1,33) refrakciós indexéhez, ezért a színbeli megjelenése is hasonlóbb lesz. A rezin infiltrációval ellentétben a mikroabrázió során egy hidrofolysavból és polírpasztából álló savas kémhatású keverék kerül a fogfelszínre, amelyet egy forgó eszköz segítségével (alacsony fordulatszámon alkalmazott gumi polírkehely) eldolgozunk. Egy, a közelmúltban megjelent szakirodalmi áttekintés során arra a megállapításra jutottak, hogy az enyhe és középsúlyos léziók ellátására a re-
zin infiltrációs technika alkalmazható a leghatékonyabban. Eredményesség szempontjából ezt a fogfehérítéssel együtt alkalmazott mikroabráziós technika követi. A makroabráziós eljárás során tulajdonképpen egy fogászati fúróval eltávolítjuk az érintett zománcterületeket, majd az így kialakult anyaghiányt kompozit tömőanyaggal feltöltjük. Ebben az esetbemutatásban az otthoni fogfehérítést követően alkalmazott resin infiltrációs technikával elérhető esztétikai eredmények vizuális kiértékelését szeretnénk bemutatni. Az ellátás során egy páciens fluorosissal érintett felső középső metszőfogainak kezelését végeztük.
Esetbemutatás
Egy 27 éves hölgypáciens azért kereste fel az Iowai Egyetem Fogorvostudományi Karának Fogászati Klinikájának Konzerválófogászati Tanszékét (University of Iowa, College of Dentistry and Dental Clinics, Operative Dentistry Clinic), mert esztétikailag zavarták a felső frontfogain, és ezek közül is főként a nagymetszőkön látható fehéres zománcelszíneződések (1. a ábra). A fehéres fluorosisos foltokon kívül az érintett fogak panasz- és tünetmentesek voltak. A páciens elmondása szerint a családtagjai körében is megfigyelhetőek voltak ezek a fehéres foltok. A páciens lakhelyén praktizáló fogorvos szerint ezek kialakulásának hátterében a helyi ivóvíz magas fluoridtartalma állhat. Az érintett fogakról készített periapikális felvételeken pathológiás elváltozásokat nem tudtunk detektálni, valamint a szenzibilitás vizsgálat (folyékony szén-dioxid) során a fogak pozitív reakciót adtak. A fluorosisos foltok okozta kedvezőtlen esztétikai helyzet konzervatív módszerekkel történő ellátására az alábbi terápiás lehetőségek merültek fel: resin infiltráció, mikro- vagy makroabrázió, és/vagy porcelánhéjak készítése. Első lépésként fogfehérítés végzését javasoltuk, hogy a fluorosissal érintett területek és az ép zománcfelszín között látható színbeli eltérés mértékét csökkentsük. A páciens 10%-os karbamid-peroxiddal (Opalescence PF 10%, Ultradent) végzett otthoni fogfehérítés lehetőségét választotta. Ugyanezen alkalom során a pácienst egyéni fogfehérítő sínekkel, valamint a használatukra vonatkozó instrukciókkal is elláttuk. Ezen felül a páciens azt az utasítást kapta, hogy a fogfehérítést függessze fel két héttel a tervezett resin infiltrációs kezelésének időpontja előtt. Szakirodalmi adatok sze-

4a 4b

4. a–b ábra: A felső frontfogak abszolút izolálása. Resin infiltráció előtt (a) és után (b) látható állapot.
rint adhezív rendszerek alkalmazása előtt 1–3 héttel célszerű abbahagyni a fogfehérítő kezeléseket, hogy az esetlegesen visszamaradt oxigén ne tudja negatívan befolyásolni a kompozitok kötését és polimerizációját.
A páciens legközelebb az első időpontját követően hat héttel jelent meg. A fogfehérítés hatására a fogai láthatóan világosabbak lettek, de a fehér foltok még mindig láthatóak voltak (1. b–2. ábra). Annak érdekében, hogy a lehető legjobb eredménnyel járó és amellett a lehető legkonzervatívabb ellátási módszert ki tudjuk választani, különböző színű előtéteket helyeztünk a polimerizációs lámpa fényvezető csöve elé és ezeken keresztül palatinális irányból átvilágítottuk a felső frontfogakat. Ezt követően kiértékeltük a fogak felszínén látható színbeli eltérések mértékét (3. ábra). Ezzel a módszerrel rendelői körülmények között hozzávetőlegesen fel tudjuk mérni a fluorosisos léziók mélységét. Minél nagyobb mértékben blokkolja az áthaladó fény mértékét, annál mélyebb az adott lézió. A mély léziók ellátása általában különböző módszerek együttes alkalmazását igényli. A mi esetünkben a jobb oldali nagymetsző a bal oldalihoz képest kevésbé volt érintett. Ennek megfelelően a jobb oldali fog esetében harmonikusabb végeredményre számíthattunk. A látottak kiértékelését követően resin infiltrációs technika alkalmazása mellett döntöttünk.
Az ellátás során először kofferdám került felhelyezésre, amelyet fogselyem ligatúrák segítségével rögzítettünk (4. a ábra). Az abszolút izolálásnak köszönhetően meg tudtuk akadályozni a kezelt terület nyállal történő szennyeződését, valamint meg tudtuk védeni az ínyt a hidrofolysavnak való expozíciótól. Ezt követően mindkét nagymetsző fogat felpolíroztuk fluormentes polírpaszta és egy polírkehely se-

gítségével. A resin infiltrációt a gyártói utasításoknak megfelelően végeztük. Az érintett fogfelszínekre Icon-Etch-et applikáltunk (15%-os hidrofolysav), majd ezt 2 percen keresztül a felszínbe dörzsöltük. Ezután a savat vattagombócok segítségével eltávolítottuk és a maradványokat 30 másodpercen keresztül alkalmazott levegő–víz spray segítségével lemostuk. Ezt követően az előkészített fogfelszíneket puszterrel alaposan leszárítottuk (olaj és vízmentes levegő spray).
Következő lépésként a felszíneket Icon Dry-jal (99% ethanol; DMG) leecseteltük, és megvártuk, amíg magától lassan elpárolog. Ennek a lépésnek az volt a célja, hogy a zománcpórusokban esetlegesen visszamaradt vízmolekulák is eltávozzanak. Ezután látható színbeli változás volt megfigyelhető a fluorosisos foltoknak megfelelően. Sokkal kisebb lett az egészséges zománcfelszínekhez képest látható színbeli eltérés mértéke. Ennek megfelelően az Icon Dry applikálását másodszor is elvégeztük, amelynek hatására az esztétikai kép tovább javult. Ezután a TEGDMA tartalmú Icon-Infiltrant-tot (DMG) is felvittük az előkészített felszínekre és 3 percen keresztül folyamatos, lassú körkörös mozdulatokkal a felszínen eldolgoztuk, ezzel is elősegítve az anyag mélyebb rétegekbe történő penetrációját. A gyártói utasításban leírt behatási időt követően a felesleget vattagombócok és fogselyem segítségével eltávolítottuk, és egy legalább 800 mW/cm2-es teljesítményen alkalmazott fotopolimerizációs lámpa segítségével 40 másodpercen keresztül megvilágítottuk. Ezután a felszíneket újból Icon-Infiltrant-tal borítottuk, de másodjára már csak 1 percen keresztül dolgoztuk bele a felszínekbe és az előbbi lépéseket követve ezt a réteget is polimerizáltuk. Végül polírkorongok és kelyhek segítségével
5a 5b

5. a–b ábra: A felső nagymetszőfogak resin infiltrációja után egy héttel (a) és 14 hónappal később (b) látható állapot. A képek alapján kijelenthető, hogy a kezelés során elért esztétikai állapotot mindvégig sikerült fenntartani.
Egy, a közelmúltban megjelent szakirodalmi áttekintés során arra a megállapításra jutottak, hogy az enyhe és középsúlyos léziók ellátására a rezin infiltrációs technika alkalmazható a leghatékonyabban.
a felszínen lévő egyenetlenségeket elsimítottuk (4. b ábra).
A kofferdám eltávolítását követően megkértük a pácienst, hogy értékelje ki az elért esztétikai helyzetet. Elmondása szerint tetszett neki és elégedett volt az elért színbeli változásokkal (5. a ábra).
A 14 hónappal később végzett kontrollvizsgálat során a páciens kijelentette, hogy rendkívül elégedett az eredménnyel és hogy véleménye szerint nincs szükség további kezelésekre (5. b ábra)
Megbeszélés
A fogakat érintő fluorosisos elváltozások egyre nagyobb számban jelennek meg. A CDC (Centers for Disease Control and Prevention) adatai szerint a fluorosis prevalenciája a 2001/2002-ben mért 30%-ról 2011/2012-re megduplázódott. A fluorosisos esetek számának drámai növekedése,
valamint a páciensek ezzel kapcsolatos egyre nagyobb tájékozottsága és növekvő esztétikai igényei arra ösztönzi a fogászati ellátókat, hogy kezelési lehetőségek széles palettáját nyújtsák betegeik részére kezdve a legkonzervatívabb kezelésektől egészen az invazív terápiákig. A fogfehérítést követően végzett resin infiltráció a konzervatív kezelések közé tartozik és a fenti esetbemutatás során sikeresen alkalmaztuk egy esztétikailag kedvezőbb végeredmény eléréséhez. Az alkalmazott terápia hatására a fehéres fluorosisos foltok szinte teljes mértékben eltűntek a fogfelszínekről.
A 14 hónapos kontroll során meggyőződhettünk a színbeli egyezés stabilitásáról és a pácienselégedettség folyamatos megtartásáról.
(A cikk megírása során felhasznált szakirodalmi hivatkozások a szerkesztőségünkben elérhetőek.)
Forrás: Cosmetic Dentistry; 2023/1 36-39

mint 100 éves tapasztalat! INLAY, ONLAY ARANY KERÁMIA ARANY LEMEZ ARANY KOMBINÁLT MUNKA LEMEZ ARANYOZÁS GALVÁN MUNKÁK KESZÍTÉSE
ELÉRHETŐSÉG: +36 20 366 10 80 schulzefogtechnika@gmail.com
Dr. Gianfranco Roselli, Trifone Lorenzo Bruno (Olaszország)
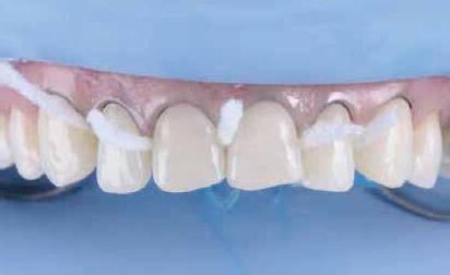
DIASZTÉMAZÁRÁS DIREKT „KÉTMATRICÁS” TECHNIKA ALKALMAZÁSÁVAL





A páciens a jobb felső kismetsző és nagymetsző, valamint a két felső nagymetszőfoga között látható rések (12–11, 11–21) miatt kereste fel a rendelőnket. Az első vizsgálat során intraorális fotókat készítettünk a páciensről, amelyeket később digitális módszerek segítségével alaposan kielemeztünk.
A kezelés során a fogak között látható rések nano-hibrid kompozittal történő direkt felépítését végeztük. A két felső nagymetszőfog között lévő rés zárása során készített fotók útmutatásul szolgálnak az általunk „kétmatricás” technikának nevezett direkt eljárás diasztémazárás során történő alkalmazásához.
Esetbemutatás
Anamnézis
A páciens az első találkozáskor a fogazatának esztétikai kiértékelésének céljából érkezett a rendelőnkbe. A páciens jó általános egészségi állapottal rendelkezett, nem szenvedett általános betegségektől, és nem történt korábbi fogszabályzó kezelés. A vizsgálatot követően a páciens részletes tájékoztatást kapott arról, hogy milyen lépések szükségesek az esztétikai helyzet javításához. A páciens ezeket elfogadta és kijelentette, hogy a felső frontfogai között látható és számára esztétikailag zavaró rések teljes zárását szeretné elérni.
Dokumentáció és diagnózisfelállítás
A klinikai vizsgálat során megállapítottuk, hogy a felső frontfogakon nem történtek megelőző fogászati kezelések. Radiológiai vizsgálat során nem találtunk olyan elváltozásokat, amelyek a koronák, gyökerek, fogbél, vagy a parodontium épségét érintenék. A diagnózisunk a jobb felső kismetsző és nagymetsző között látható kisebb, valamint a két felső nagymetszőfoga között látható nagyobb méretű diasztéma volt.
Kezelési terv
A rések zárását direkt adhezív módszerekkel terveztük végrehajtani. A nagymetszők között a „kétmatricás” technikát, míg a kismetsző és a nagymetsző között egy transzparens celluloid csík felhasználásával járó technikát alkalmaztunk. A részárás során nano-hibrid kompozit tömőanyagot és univerzális bondot használtunk. Az 1,5 mm-nél kisebb fogak közti réseket (mint a bemutatásra kerülő esetnél) szabad kézzel, míg az ennél nagyobbakat szilikonsablon segítségével célszerű ellátni az esztétikus végeredmény érdekében (1. ábra).



3. ábra: A kontaktpont és az állcsontgerinc között lévő távolság felmérése. – 4. ábra: Kofferdám felhelyezése. – 5. ábra: A kiegészítendő felszínek savazása. – 6. ábra: A fogfelszínek kondicionálása után látható állapot. – 7. ábra: A zománcfelszín bondozása. – 8. ábra: A jobb felső kismetsző és nagymetszőfog között lévő terület matricázása és ékelése. – 9. ábra: A jobb felső kismetszőfog meziális felszínének kiépítése. – 10. ábra: A két nagymetszőfog között lévő terület matricázása. 11. ábra: A bal felső nagymetszőfog meziális felszínének kiépítése. – 12. ábra: Az áthajlási vonalak jelölése.



Az optimális fogméreteket és formákat digitális mosolytervezés (Digital Smile Design [DSD], DSD Planning Center) segítségével határoztuk meg. Az új fogformákat és méreteket bemutató tervet a páciensnek is bemutattuk. A fogszínt a Naorungroj által leírt elveknek megfelelően elemeztük annak érdekében, hogy a felépítés során optimális árnyalatú tömőanyagot használjunk (2. ábra). A rendelkezésre álló fotódokumentációt részletekbe menően kielemeztük, hogy az ellátás során a lehető legjobb esztétikai végeredményt tudjuk elérni.
Annak érdekében, hogy elkerüljük a kedvezőtlen esztétikai megjelenésű és funkcionális szempontból is előnytelen fognyaknál látható nyitott interproximális tereket, a fogközök papilláig történő kiépítése mellett döntöttünk. Más negatív aspektusok mellett a fognyaki fekete háromszögek elősegítik a plakk és az ételmaradék akkumulációját. Annak érdekében, hogy a fogközt az ínypapilla teljes mértékben kitöltse, az approximális kontaktpont és az állcsontgerinc között nem lehet 5 mm-nél nagyobb távolság (3. ábra).
Kezelési lépések
Mivel a kiindulási állapot felmérését kellő alapossággal végeztük, ezért tisztában voltunk azokkal a szempontokkal, amelyek az ellátás során elért eredmény funkcionális és esztétikai képét befolyásolják. Először kofferdám került felhelyezésre (4. ábra), majd a fogfelszínek kondicionálását és bondozását végeztük el. A zománc savazását (Vococid, VOCO) a nagymetszőfogak egymás felé tekintő approximális felszíneinek, valamint a jobb felső kismetsző mezioapproximális felszínének megfelelően végeztük 20 másodpercen keresztül (5. ábra). Ezután a savat

levegő-víz spray segítségével 30 másodpercen keresztül lemostuk, majd a felszíneket levegő spray alkalmazásával leszárítottuk. Az előkezelés végén a savazott felszín a számunkra optimális krétafehér színnel rendelkezett (6. ábra). Az előkészített zománcfelszíneket univerzális bonddal fedtük (Futurabond U, VOCO) és ezt a felszínen eldolgoztuk (7. ábra), majd az oldószert gyenge levegőáramlattal fokozatosan 5 másodperc alatt elpárologtattuk. Ezáltal az adhezív réteg vékonnyá, fényessé és jól tapadó filmrétegszerűvé vált. A bondot 10 másodpercen keresztül nagy teljesítményű fotopolimerizációs lámpával megvilágítottuk (Celalux 3, VOCO).
A jobb felső kismetsző mezioapproximális felszínének kiépítése
A felépítéshez celluloidcsíkot és műanyag éket alkalmaztunk (Ena Matrix, Micerium). A transzparens celluloidcsík használata elősegítette a felépítésünk jobb vizuális kontrollját, valamint a fotopolimerizáció hatékonyságát is növelte (8. ábra). Miután az első réteg paszta állagú kompozitot behelyeztük, áttértünk egy alacsony viszkozitású nano-hibrid flow kompozit (GrandioSO Light Flow, VOCO) használatára. Ezzel tudtuk az előkészített zománcfelszín megfelelő zárását biztosítani (9. ábra).
A felső nagymetszőfogak közti interproximális rés zárása
A felső nagymetszők között lévő rést két szekcionált matrica egymást követő alkalmazásával zártuk (10. ábra). Ennek a technikának a lépéseit egy korábbi tudományos cikkben leírtak inspirálták. Abban a cikkben parodontálisan érintett páciensek frontrégiójának egy ülésben történő helyreállításáról számoltak be, továbbá a szekcionált matricák helyes használatát is ismertették.

13. ábra: A felszíni textúra kialakítása. – 14. a–b ábra: A fognyaki átmenet kidolgozása.
15. a–b ábra: A felépítés megfelelőségének ellenőrzése.
Először egy a domború felével a fogköz felé mutató 60 µm vastagságú fém szekcionált matricát helyeztünk vertikálisan a felépítendő fogközbe és ezt egy ék segítségével (Ena Matrix) stabilizáltuk. Ezt követően passzív módon az első matricával tükörszimmetrikusan behelyeztük a második szekcionált fémmatricát is. Ennek a módszernek az a lényege, hogy így mindvégig kontroll alatt tudjuk tartani a kontaktpont helyzetét és az emergenciaprofil lefutását. A második matrica segít az interdentális papilla apikális irányba történő elnyomásában. Ezután paszta állagú kompozit segítségével (Admira Fusion, Shade A2; VOCO) megkezdtük a jobb felső nagymetsző meziális felszínének kiépítését. Ebben a helyzetben a majdani kontaktpont lokalizációját az először behelyezett fémmatrica pontosan meghatározta. A kiépítés során nem érdemes egyszerre túl sok anyagot használni, mivel az megnehezítené a tömőanyag pontos adaptálását. Fotopolimerizációt követően az első fémmatricát eltávolítottuk, ügyelve arra, hogy az ék mindvégig a helyén maradjon. Az ék által kifejtett kompresszió segített a terület vértelenül tartásában, valamint a második matrica pozíciójának folyamatos stabilizációjában (11. ábra). Ezután megkezdtük a bal felső nagymetsző mezioapproximális kiegészítését, amelyet a már előzetesen behelyezett és mindvégig helyben lévő fém szekcionált matrica nagymértékben leegyszerűsített.
A felszíni textúra kidolgozása

segítettek a felszínek megfelelő kontúrjának kialakításában. Utolsó lépésként a felszín texturáltságát alakítottuk ki (13. ábra). Rusztikus vonalszerű sekély vájulatok segítségével helyreállítottuk a vertikális irányú anatómiai textúrát, és az approximális felszín felé történő ívelt lefutást is kialakítottuk.
A felszínek megfelelő polírozását követően a mikrotexturáltságot is ki tudjuk alakítani. A végső kidolgozás során a beeső fény szóródására is tekintettel kell lenni, amely nagymértékben meghatározza a folyamatot. A fény szóródása, refrakciója és abszorpciója befolyásolja, hogy a kidolgozás során kialakított apró egyenetlenségek milyen végső esztétikai képet mutatnak (13–14. ábra).
A kiépített fogak bukkális felszínére grafitceruza segítségével berajzoltuk az áthajlási vonalakat (12. ábra). Ezek sokat

A kofferdám eltávolítását követően polírkorongokkal (SofLex, 3M) tovább finomítottuk az approximális felszínek lefutását és illeszkedését. Ez a lépés nagyban elősegíti a terület fogselyemmel történő megfelelő tisztíthatóságát. A kialakított felszínek fényét és háromdimenziós megjelenését tovább tudtuk fokozni polírkelyhek és gyémánt- vagy cirkóni-


16. ábra: Az elkészült felépítés.
17. a–c ábra: Preoperatív röntgen (a) postoperatív fotó (b) és röntgen ©.



18. a–b ábra: A felépítés előtt és után látható állapot DSD-vel történő összehasonlítása. – 19. ábra: Frontális irányból készített fluoreszcens felvétel. – 20. ábra: Végső állapot.
umtartalmú polírpaszta alkalmazásával (16. ábra). Azonban nagyon fontos, hogy az esztétikus megjelenés kialakítása sosem szoríthatja háttérbe az interproximális terület tisztíthatóságát. Legvégül filckorongot (Super-Snap Buff Disk, SHOFU) és gyémánttartalmú pasztát (DirectDia Paste, SHOFU), majd szilikonpolírozókat (Dimanto, VOCO) használtunk. Ellenőrzésképpen periapikális röntgenfelvételeket készítettünk, ahol szintén leellenőriztük a tömésszélek megfelelő adaptációját (17. ábra). A digitális mosolytervezés során kialakított tervet is össze lehet hasonlítani a kontrollröntgenen látható formákkal.
A hat hónapos kontrollvizsgálat során a kiindulási állapottól jelentősen eltérő klinikai kép fogadott. A frontrégióban található fogközöknek megfelelően a fogak approximális felszínei szorosan illeszkedtek és az interdentális teret a papillák teljesen kitöltötték (18–21. ábra). A vizsgálat során nem találtunk a kompozitfelépítés sérülésére vagy a széli zárás elégtelenségére utaló jeleket. A pótlás elszíneződése sem volt megfigyelhető. A kompozitfelépítés színbeli meg-
jelenése és transzlucensziája, a felszíni textúrája és anatómiai formája, valamint a kontaktpontok szorossága mindvégig megtartott volt. Ezen felül gyulladásra utaló jeleket sem észleltünk.
A kezelés során alkalmazott VOCO termékek előnyei
Az alkalmazott anyagok kiváló esztétikai és funkcionális tulajdonságokkal rendelkeztek. A Futurabond U előnyei közé tartozik, hogy elég 1 rétegben applikálni és az egész folyamat csupán 35 másodpercet igényel. Ezen felül kiváló adhéziót biztosít, akár fémekhez vagy kerámiákhoz, valamint a nedvességet is jól tolerálja. Az Admira Fusion tömőanyagot az univerzális alkalmazhatósága, és harmonikus fényáteresztő tulajdonságai (transzlucenszia, opacitás), és jól formázhatósága miatt választottuk. Ezek lehetővé teszik az anatómikus fogfelszínek kialakítását, illetve egy vagy több árnyalatot is használhatunk a kiépítéshez. A GrandioSO Light Flow alacsony viszkozitásának köszönhetően nagyon jól terül, pontosan formázható és emellett jó esztétikai tulajdonságokkal is rendelkezik.
Eredmények
A páciens elégedett volt a kialakított fogformával. Véleménye szerint ezek megfelelően visszaadják a természetes fogformákat és a fogközök zárását is megfelelőnek ítélte. Ezen felül a választott ellátási módszer egy további előnyét is kiemelnénk: a minimál invazivitást. A páciens számára a kezelés nem járt kifejezett kellemetlenségekkel és jelentős mennyiségű foganyag sem került a folyamat során eltávolításra.
Megbeszélés
A kezeléstervezéshez egy digitális módszert választottunk (digitális mosolytervezés), amely erőteljes hangsúlyt helyezett a fogazat szimmetrikus megjelenésére. Nagyon fontos volt a páciens mosolygásakor látható esztétikai kép kiértékelésének, mivel ez alapján tudtuk a fogméreteket és az approximális felszínek kedvező lefutását meghatározni. Ezt a DSD technológia tette lehetővé. A kiindulási helyzetben látható és a kezelés végén kialakított fogformákat radiológiai felvételek segítségével tudtuk pontosan összehasonlítani. A kezelés közben készített intraorális felvételek segítségével a folyamat közben vissza tudtuk magunkat ellenőrizni, és meg tudtunk győződni arról, hogy a kiépítést a tervnek megfelelően végezzük.
Azon ellátási szempontok között, amelyek alapján a direkt felépítést választottuk, súlyozottan szerepet kapott a megfelelő esztétika kialakítása. Az új kaméleoneffekttel rendelkező nano-hibrid tömőanyagok használata lehetővé teszi a kezelési idő redukálását és hogy az indirekt pótlásokéhoz hasonló mechanikai és esztétikai tulajdonságokkal rendel-
18a
18b


GENGIGEC.
Hialuronsav

Gengigel gél, 20 ml 4290 Ft

Gengigel gél - Az első fogaktól, 20 ml 4290 Ft

Gengigel Spray, 20 ml 4290 Ft

kező restaurátumokat hozzunk létre szabad kézzel. Az alkalmazott technika egyik további előnye a költséghatékonyság volt, ugyanis jelentős nagyságú anyagi terhet sikerült elkerülni azzal, hogy nem kellett költséges protetikai ellátási formákhoz folyamodni. A fogászati szakmának egyre költséghatékonyabbá kell válnia, mivel sokszor csak korlátozott anyagi lehetőségek állnak rendelkezésre a páciensek részéről. Szükség van az olyan ellátási technikákra, amelyek segítségével a frontrégió helyreállítását egyszerűen, gyorsan, megbízható módon és költséghatékonyan tudjuk megvalósítani. Nem minden esetben van lehetőségünk sokkal invazívabb és költségesebb indirekt restaurátumok, mint például koronák vagy héjak készítésére.
Összefoglalás
A páciens rendkívül elégedett volt az elkészült pótlás esztétikájával. Ezen felül a hangképzése és a fogazat tisztíthatósága is sokat javult. A fogak között lévő diasztémák zárását, amelyet sokáig kizárólag protetikai vagy orthodonciai módszerekkel végeztek, a rendelkezésünkre álló anyagoknak köszönhetően manapság már konzerválófogászati beavatkozások keretei között is el lehet végezni.
(A cikk megírása során felhasznált szakirodalmi hivatkozások a szerkesztőségünkben elérhetőek.)
Forrás: Cosmetic Dentistry 2023/1


Gengigel Hidrogél szájöblítő oldat, 150 ml

Gengigel First Aid öblögető oldat, 50 ml
5 termék vásárlása esetén -10% KEDVEZMÉNY
10 termék vásárlása esetén -20% KEDVEZMÉNY
Gengigel Fogínyvédelem fogkrém, 75 ml 3990 Ft
15 termék vásárlása esetén -30% KEDVEZMÉNY
Magyarországon forgalmazza: Pharmanext Kft. • 1085 Budapest, Stáhly u. 2/a • info@p www.gengigel.hu • Lezárás dátuma: 2024.09.05. PNXT-36/2024 armanext.�u
21. a–c ábra: Hat hónapos kontroll.
Dr. Elia Diana Boangar, dr. Ionut Branzan (Románia)
ABRADÁLT FRONTFOGAKKAL RENDELKEZŐ FELNŐTT PÁCIENS
INTERDISZCIPLINÁRIS KEZELÉSE


Bevezetés


Nagy hatással van a döntéseinkre az a folyamatos információözön, amely jelenleg körülvesz bennünket. A fogászati technológiák és eljárások fejlődése, új anyagok megjelenése, evidenciaalapú protokollok elérhetővé válása mind befolyásolja a gondolkodásunkat, azonban a legnagyobb előnyre akkor tehetünk szert, ha más szakterületek specialistáinak meglátásait is bevonjuk a döntéshozatali procedúránkba. Egy 2010-ben megjelent tanulmány szerint (Massachusetts Institute of Technology [MIT] és Union College) az egy csoportban lévő személyek egyéni kognitív képességeit a csoport kollektív intelligenciája mindig meghaladja.1 Ez az elv a fogorvostudomány területén is megállja a helyét. A komplex problémákat a vonatkozó területek specialistáinak bevonásával általában sikeresen meg lehet oldani. A kö-



zös gondolkodás hozzájárulhat kisebb invazivitású és jobban megjósolható kimenetellel járó kezelési tervek felállításához.
A kollaborációban kezelt esetek ellátása során a megfelelő funkcionális és esztétikai végeredmény elérése érdekében elengedhetetlen az ellátásban részt vevők (fogorvosok, fogtechnikusok, páciensek) közti egyértelmű kommunikáció, valamint a kezelési célok, kompetenciák és feladatok pontos meghatározása.
Az alábbiakban bemutatásra kerülő esetismertetés során egy abradált frontfogazattal rendelkező felnőtt páciens kombinált orthodonciai és protetikai ellátásának lépéseit fogjuk áttekinteni.
A mindennapi gyakorlatban hozzá vagyunk szokva ahhoz, hogy felnőtt páciensek különböző funkcionális és esztétikai, valamint az ehhez kapcsolódó egyéb problémák megoldását kérik tőlünk. Ezek ellátását célirányosan, a kezelési célok teljesítésére fókuszálva végezzük. Az esetbemutatás során egy abradált frontfogazattal és az alsó első nagyőrlők pozíciójában implantátumokkal rendelkező felnőtt páciens kombinált orthodonciai és protetikai ellátását fogjuk ismertetni.
Esetismertetés
A 38 éves hölgypáciens az abradálódott alsó és felső metszőfogai és az ezen a területen jelentkező hideg és meleg érzékenység ellátása céljából jelentkezett a rendelőnkben. Az általános anamnézisében nem szerepelt semmilyen a fogorvosi ellátást befolyásoló tényező. A fogászati anamnézisé-



ben éjszakai bruxizmus (a férje elmondása szerint esténként hallható, hogy a hölgy alvás közben csikorgatja a fogait), ébredéskor a masseterek területén fennálló izomfájdalom, valamint napközbeni fogcsikorgatás szerepelt. Szénsavas üdítőitalokat napi rendszerességgel fogyaszt. Pszichoszociális analízis során stressz és szorongás jeleit mutatta. Palpáció során az állkapocsízületek megtapintásakor közepes erősségű fájdalmat jelzett. Szájzáráskor mindkét ízületnél kattanó hangot lehetett hallani, azonban ez nem járt funkcionális korlátozottsággal, valamint az ízületi elmozdulások során és az ízület terhelésekor sem jelentkezett fájdalom.
Az anamnesztikus adatok áttekintése és a klinikai vizsgálat során tapasztaltak összegzését követően megállapítottuk, hogy a hölgy vélelmezhetően konstans (nappali és éjszakai) bruxizmustól szenved.
A klinikai vizsgálat során mindkét fogívben kifejezett mértékű abrázió jeleit észleltük a metszőfogaknak megfelelően. A fogak kopása már a dentint is érintette. A bal oldalon Angle Class II. állcsontrelációs helyzet állt fenn. A páciensnél 1,5 mm-es overbite-ot mértünk, valamint az alsó első nagyőrlőfogak implantátumokon rögzülő lithium-diszilikát koronákkal lettek pótolva. Az implantátumok két évvel ezelőtt kerültek behelyezésre (1. a–f ábra).
A páciens vékony gingivális biotípussal rendelkezett és néhány helyen ínyrecessziót lehetett megfigyelni. A jobb felső első, valamint a bal felső második nagyőrlő disztális felszínének megfelelően 4 mm-es tasakmélységet mértünk. A bal oldali implantátumon rögzülő korona disztális felszínénél 7 mm-es, a jobb oldali implantátumon rögzülő korona disztális felszínénél pedig 5 mm-es tasakot észleltünk, amelyek szondázást követően véreztek. Ennek ismeretében a pá-





cienst parodontológushoz irányítottuk az iniciális terápia megkezdésére, valamint további szakellátásra. Mivel a fogak csikorgatása önmagában nem okozna ilyen kifejezett kopási fazettákat a frontfogakon, ezért az abrázió hátterében több etiológiai tényező együttes jelenlétét vélelmeztük. Feltételezéseink szerint a mechanikai eredetű fogkopás (attríció) súlyosságát kémiai behatások (erózió) fokozták. Ennek megfelelően a pácienst felszólítottuk a szénsavas italok fogyasztásának felfüggesztésére, valamint vizuális segédeszközök (színes matricák, amelyeket 8 héten át hetente cserélt) igénybevételével próbáltuk a figyelmét folyamatosan felhívni arra, hogy próbáljon tudatosan odafigyelni a napközbeni parafunkciók megszüntetésére (csikorgatás, szorítás). Éjszakára pedig egy Michigan-sín viselését írtuk elő számára (2. ábra). Ez a sín a fogak mechanikai védelmére szolgált az éjszakai fogcsikorgatás során.
A 8 hetes parafunkciókról való leszoktatást elősegítő viselkedésterápia befejezését követően az állkapocsízületek tapintásakor jelentkező fájdalom több mint felére csökkent. (A fájdalom egy 1–10-ig terjedő skálán mérve a kezdeti 5-ös értékről 2-re változott.) A páciens ekkor azt kérte, hogy kezdjük meg a kopott metsző- és szemfogainak a helyreállítását. Ennek megfelelően teljes esztétikai és funkcionális analízist végeztünk. A vizsgálat során az alábbi megállapításokat tettük: kismértékű arcaszimmetria, a középső és alsó archarmad aránya megfelelő, az alsó állcsont megfelelő pozícióban található, előreugró állcsúcs, normál lefutású mosolyvonal, kiegyenesedett incizális ív, aszimmetrikus ínylefutás, balra dőlő felső rágósík (a bal felső nagyőrlők ki vannak emelkedve), nem megfelelő fogazati arányok, a felső középvonal 0,5 mm-es jobbra tolódása (3. a–4. f ábra). Az okklúzió elemzése










során megállapítottuk, hogy záróharapási helyzetben csupán a jobb oldali bölcsességfogak között találunk fogérintkezéseket (18–48). A többi rágófog, valamint a frontfogak között nem volt érintkezés, tehát a páciens nyitott harapással rendelkezett. Mindkét oldalon Angle Class II. állcsontrelációs helyzetet észleltünk, valamint szájzáráskor az alsó állcsont előrefelé csúszott és így érte el a maximális interkuszpidációs helyzetet (5. a–c ábra).
Mivel ezt a harapási helyzetet nem lehetett volna kizárólag protetikai módszerekkel megoldani, ezért a pácienst fogszabályzó szakorvoshoz irányítottuk. A beteg alapvetően elégedett volt az arcának megjelenésével, és nem zavarta a jelenleg fennálló arcasszimmetria. Ennek megfelelően az





orthognáth sebészeti beavatkozások végzését elutasította és kizárólag orthodonciai és protetikai módszerekkel kívánta a fogazati állapotának rendezését elérni.
Az orthodonciai vizsgálatot követően a fogszabályzó kezelést végző, valamint protetikai ellátást biztosító fogorvos között zajló esetmegbeszélés során az alábbi kezelési célok kerültek meghatározásra: ínykontúrok rendezése a felső frontfogak területének megfelelően, a rágósíkból kiemelkedett bal felső nagyőrlők intrúziója, az Angle Class II állcsontrelációs helyzet megszüntetése és az overjet mértékének csökkentése, az alsó rágósík nivellálása, az alsó második nagyőrlők felegyenesítése, a jobb oldali bölcsességfogak közti korai érintkezés megszüntetése, két oldalon kiegyensúlyozott okklúzió kialakítása.

















Bizonyos esetekben a bölcsességfogak eltávolítását, vagy az őrlőfogak intrúzióját követően megszűnnek a rágózóna disztális részén megfigyelhető korai érintkezések. Ennek köszönhetően az alsó állcsont autorotációja révén az állcsontok Angle Class I helyzetbe kerülhetnek. A fentiek ismeretében az orthodonciai fókusz egyértelművé vált: az állcsontok egymáshoz viszonyított vertikális pozíciójának optimalizálása. Ugyanezen gondolatmenetet követve a beartikulált mintákról eltávolítottuk a bölcsességfogakat és





a második alsó nagyőrlőket (amiket terv szerint a páciens szájában lévő implantátumokon elhorgonyzott koronákat felhasználva a szükséges mértékig intrudálni fogunk). Ezt követően megnéztük, hogy ezek a módosítások milyen változásokat indukálnának a saggitális síkban megfigyelhető intermaxilláris viszonyban (6. a–c ábra). Sajnos ezen artikulátorban történő szimuláció alapján pusztán a bölcsességfogak eltávolításával és a második alsó nagyőrlők intrúziójával nem érnénk el megfelelő eredményt, és to-

















vábbi saggitális síkban történő orthodonciai korrekcióra is szükség lesz.
Az orthodonciai beavatkozások során a legjobb elhorgonyzást a szkeletális horgonylatok biztosítják. Az alsó állcsonton az implantátumokon rögzülő koronákat terveztük a második nagyőrlők intrudálásához és felegyenesítéséhez felhasználni. A felső állcsontban pedig miniimplantátumokat akartunk behelyezni a felső első molárisok intrúziójához. A miniimplantátumok ezenkívül a felső fogív Angle Class I helyzetbe történő disztalizálása során is szerepet kapnak.
A kezelési terv meghatározását követően háromdimenziós vizualizációt készítettünk a fogszabályzás befejezését követően



elérni kívánt állapotról (7. a–c ábra). Ezt a protetikusnak és a páciensnek is bemutattuk. A páciens így saját szemével láthatta és jobban megérthette, hogy miért van szüksége a tervezett kezelésekre, hogyan zajlik majd a folyamat, és a kezelés végén milyen protetikai helyreállításra van szükség. Ez egy nagyon fontos lépés az interdiszciplináris kezelések során, mivel a páciensnek meg kellett értenie, hogy a kívánt esztétikai és funkcionális eredmény elérése érdekében feltétlenül szükség van a teljes (orthodonciai és protetikai) kezelés elvégzésére.
A páciens elfogadta az általunk felállított kezelési tervet. Ennek megfelelően a bölcsességfogak eltávolítását követően elindítottuk a fogszabályzó kezelést. Az orthodonciai terápia
részeként összesen 4 darab miniimplantátumot (MCTBIO) helyeztünk be a felső állcsontba. Kettőt bukkális irányból az első és második nagyőrlő gyökerei közé, kettőt pedig palatinálisan a második kisőrlő és az első nagyőrlő gyökerei közé. Először a felső első nagyőrlők intrudálására, majd a felső fogív disztalizálására használtuk őket. A felső fogív disztalizálásától a Class II állcsontrelációs helyzet megváltoztatását és az overjet csökkenését vártuk (8. a–f ábra). Az orthodonciai kezelés befejezése előtt ismét esetmegbeszélést tartottunk a protetikussal. Bemutattuk az eddig elért eredményeket, és meggyőződtünk róla, hogy ezek megfelelőek számára. En-




nek a lépésnek az volt a célja, hogy az utólagos korrekciók szükségességének esélyét csökkentsük és az elérni kívánt végeredményt még nagyobb eséllyel tudjuk biztosítani. Az orthodonciai fázis lezárásaként a fogpozíciókat drót retenciós ív felhelyezésével rögzítettük. Ezt követően megkezdtük a páciens protetikai ellátását.
A protetikai fázis első lépéseként új koronákat készítettünk az alsó első molárisok pozíciójában lévő implantátumokra. Ennek a lépésnek az volt a célja, hogy helyreállítsuk a szomszédos fogakkal való approximális és az antagonista ívben lévő fogakkal lévő okkluzális kontaktpontokat. Ezután újra




















elvégeztük a páciens fogazatának funkcionális és esztétikai célú analízisét (9. a–10 f ábra). Ennek részeként az alsó és felső frontfogait gipszmintán viasszal idealizált formában kiépítettük (fogazati arányok, fogérintkezések, funkcionális elmozdulások), (11. a–f) Az elkészült wax-up alapján szájüregi mock-up készült. Ez esztétikai és funkcionális szempontból is kielégítő volt, nem volt szükség semmilyen módosítás elvégzésére (12. a–13. f ábra).
Az ideiglenes felépítés (mock-up) kiértékelése során megállapítottuk, hogy az alsó frontfogak csak minimális mértékű kiegészítést igényelnek, ezért ezt kompozit tömőanyagból terveztük elkészíteni. A felső frontfogak esetében azonban magas esztétikai követelményeknek kellett megfelelni, ezért ezek ellátása földpát kerámia restaurátumokkal történt.
Mivel a páciens nem igényelte a fogszínének megváltoztatását, ezért a fogait elég volt minimálinvazív módon előkészíteni. Így csak a restaurátumok elkészítéséhez szükséges minimális anyagvastagságot és a behelyezéshez szükséges teret kellett biztosítani (14. a–c ábra). A preparálással egy ülésben történt a fogszín-meghatározás, és a hagyományos technikával történő lenyomatvétel (15. a–c ábra). A kész fogpótlások egy hét múlva érkeztek meg a fogtechnikai laboratóriumból. Először bepróbáltuk őket, és mivel a próba során mindent megfelelőnek találtunk, megkezdtük az adhezív módszerekkel történő beragasztásukat (16. a–17. f ábra) . Az alsó frontfogak kompozit



tömőanyaggal történő direkt felépítését a felső pótlások átadásával egy ülésben végeztük el. Az egy héttel később végzett kontrollvizsgálat során megállapítottuk, hogy az elkészült pótlások harmonikusan illeszkednek a páciens szájüregébe és esztétikai, funkcionális, valamint biológiai szempontból is megfelelően integrálódtak a környezetükbe (18. a–19. f ábra) . A hároméves kontrollon megállapítottuk, hogy a kezelés során elért eredmények mindvégig stabilnak bizonyultak. Az elkészült pótlások továbbra is megfelelő esztétikai megjelenéssel és funkcionalitással rendelkeztek (20. a–f ábra).
Összefoglalás
Orthodonciai eljárások integrálása révén a komplex és jelentős kihívással járó protetikai kezeléseket sokkal minimálinvazívabb módon, és sokkal kiszámíthatóbb esztétikai és funkcionális végeredménnyel tudjuk elvégezni. Ezekben az esetekben a siker záloga leginkább a kezelésbe bevont szakellátók, valamint a páciensek közti megfelelő kommunikáció, illetve az esetek kellő alapossággal végzett komprehenzív szemléletű kiértékelésében rejlik.
(A cikk megírása során felhasznált szakirodalmi hivatkozások listája megtekinthető a szerkesztőségünkben.)
Forrás: Cosmetic Dentistry; 2023/1

Dr. John Hagiliassis (Ausztrália)
AZ ALIGNERREL VÉGZETT KEZELÉSEK
HATÁRAINAK TÁGÍTÁSA –MULTIDISZCIPLINÁRIS KEZELÉSTERVEZÉS

1. ábra: Az AORTA kezelési filozófia grafikus reprezentálása. A páciensek mosolyának rendezése során figyelembe vett esztétikai faktorok egymáshoz viszonyított fontosságát bemutató ábra.
Bevezetés
Az alignerek megjelenése gyökeres változásokat hozott a páciensekkel történő kommunikációban. Klinikai szempontból pedig új képességeket adott a pácienseinknél fennálló elváltozások diagnosztizálására és a kezelések megtervezésére. Mindannyian tisztában vagyunk vele, hogy a szociális média és az információs társadalom korában a pácienseink által támasztott igények elsősorban az esztétika körül forognak. Az alignerek használatával járó digitális munkafolyamatok lehetővé tették a kezelést végző fogorvosok számára, hogy a különböző kezelési tervek várható végeredményét gyorsan és látványosan vizualizálja a páciensek számára. Ezen felül ez a technológia lehetőséget biztosít az orthodonciai, az esztétikai és a protetikai ellátást végző orvosok még szorosabb együttműködésére. A legfőbb előnye mégis abban mutatkozik meg, hogy pontosan és valósághűen szimulálja az elérni kívánt állapotot, amely nagyban elősegíti a páciensek megfelelő kooperációját. Ezáltal lehetővé válik, hogy a páciens a kezelések megkezdése előtt elfogadja és megszeresse az elérni kívánt eredményt. Ez az emocionális kötődés a későbbiekben nagyon hasznos lesz a kezelés sikeressége szempontjából.
A kezeléseim során az AORTA (Aesthetic Orthodontic and Restorative Training Academy) elveit követem. Ezeknek a célja, hogy orthodonciai, esztétikai és protetikai elvek figyelembevételével olyan esztétikai és funkcionális szempontból kielégítő eredményeket tudjunk biztosítani, amelyek eléréséhez minimálinvazív fogászati és sebészeti beavatkozásokat alkalmaztunk (1. ábra).
Az alkalmazott elveket három nagyobb területre lehet vonatkoztatni:
1. extraorális szempontok, 2. periorális szempontok, 3. intraorális (fogazati) szempontok.
Ebben a cikkben ínymosollyal, aszimmetrikus bukkális folyosóval és protetikai ellátási igénnyel rendelkező esetek alignerekkel történő kezelésének bemutatásán keresztül fogom ezen elvek gyakorlati alkalmazását demonstrálni. Ezek az esetek az AORTA kézikönyvben (AORTA Clinical Handbook) és az online AORTA kurzusokban (AORTA online continuing professional development course, www.aortaaustralia.com) is szerepelnek. A könyv és az online kurzus részben a saját, részben pedig dr. George Abdelmalek munkásságán alapul.
Ínymosoly
Már a kezelés elején meg kell határoznunk, hogy van-e lehetőségünk az ínymosoly minimálinvazív módszerekkel történő kezelésére (alignerekkel végzett intrúzió, fogak kiépítése, gingivectomia, ajak- vagy arcfeltöltés, botox), vagy orthognáth sebészeti módszerekhez kell folyamodnunk. Az orthognáth sebészeti beavatkozásokra általában jelentős szkelettális és/vagy dentális eltérések esetében van szükség, ahol kifejezett vertikális és szaggitális eltérésekkel találkozunk. A digitális munkafolyamatokkal végzett kezeléstervezés mutatkozik jelenleg a páciensek által leginkább preferált módszernek, akik lehetőség szerint a minimálinvazív módszerekkel szeretnék az ínymosolyuk megszüntetését elérni. A legideálisabb terápia meghatározása során nem szabad csak az orthodonciai kezelések spektrumán belül gondolkodnunk. A kamuflázs kezeléseknek, a multidiszciplináris ellátásnak, az arc esztétikájának megváltoztatásának és a protetikai kezeléseknek is szerepet kell kapniuk a repertoárunkban. Régen elmúltak már azok az idők, amikor a páciensek csak a hagyományos rögzített készülékkel végzett fogszabályzó és az ezt kiegészítő orthognáth sebészeti kezelés elfogadása vagy egyéb opció hiányában a kiindulási állapot fenntartása közül választhattak.
Az ínymosoly kezelésére három, az AORTA elveknek megfelelő kezelési protokoll (egyszerű, közepes, komplex) áll rendelkezésünkre. Ezeket követve jól megjósolható végeredménnyel tudjuk az ínymosolyt kezelni. A beavatkozások során 3 mm-rel tudjuk a felső frontfogakat a felső állcsontba intrudálni. A kezelés azon alapszik, hogy intrúzió esetén az ínylefutás a zománc-cement határt fogja követni. A kezelést végző orvosnak kell eldöntenie, hogy az íny tömegét gingivectomiával csökkenti, vagy esetleg ajakfeltöltést végez,











2. ábra: A páciensről készített kiindulási felvétel. A kezeléstervezést ezen fotó alapján végeztük. – 3. ábra: A páciens mosolyáról készített közeli felvétel. – 4. ábra: A digitális kezeléstervezés során az Invisalign szoftverben a kiindulási (kék) és a végső állapotot (fehér) egymásra vetített formában figyelhettük meg. – 5. ábra: Az orthodonciai kezelés befejezésekor készített felvétel. – 6. ábra: A páciens mosolyáról az orthodonciai kezelés befejezését követően készített közeli felvétel. – 7. ábra: A lágyrészplasztika mértékének digitális módszerekkel történő meghatározása. – 8. ábra: A digitálisan megtervezett sebészi sablonról készített felvétel. (PRO 4K nyomtató, Zendura termoplasztikus anyag). – 9. ábra: A gingivectomia elvégzését követően készített felvétel. – 10. ábra: A páciens mosolyáról a gingivectomia elvégzését követően készített közeli felvétel. – 11. ábra: A páciensről a gingivectomia, fogfehérítés és direkt kompozit felépítés elvégzését követően készített felvétel. – 12. ábra: A páciens mosolyáról a gingivectomia, fogfehérítés és direkt kompozit felépítés elvégzését követően készített közeli felvétel.





13. ábra: Kiindulási felvétel. – 14. ábra: A páciens mosolyáról készített közeli felvétel. – 15. ábra: Az Invisalign szoftver segítségével egymásra vetítve tudjuk megfigyelni a kiindulási (kék) és a tervezett végső állapotot (fehér). – 16. ábra: Az orthodonciai kezelés befejezésekor készített felvétel. – 17. ábra: A páciens mosolyáról az orthodonciai kezelés befejezését követően készített közeli felvétel.
esetleg botoxkezeléshez folyamodik, ahelyett hogy a hagyományos fogszabályzó kezeléssel egybekötött orthognáth sebészeti megoldást választaná.
Első esetbemutatás
A páciens a mosolyának megjelenésének minimálinvazív módszerekkel történő javítását kérte (2–4. ábra). A páciens jelentős gingivális túlsúllyal rendelkezett. A felső második kisőrlő fogak között (15-25) kb. 5 mm szélességű ínymosoly volt megfigyelhető. A felső középvonal balra tolódott és a felső ajka is vékony volt. A bal oldalon Angle Class II/I relációs helyzetet észleltünk. A páciens közepes vastagságú egészséges ínnyel rendelkezett. Nem voltak lokalizált vagy generalizált gingivitis fennállására utaló jelek. Ezen felül nem találtunk szuvas, vagy tömött/egyéb módon helyreállított fogakat.
A páciens fél éven keresztül hetente cserélte az alignereket (a felső fogív esetében 33-ból 25-öt, az alsó fogív esetében 25-ből 25-öt viselt, és nem volt szükség utólagos módosításokra). Ezalatt a felső frontfogakat megfelelő mértékig intrudáltuk, amely lehetővé tette e kezelés első fázisának lezárását (5–6. ábra). A második fázisban digitálisan meghatároztuk a felső frontfogaknál szükséges lágyrészplasztika mértékét. Ez alapján egy sebészi sablont terveztünk, amelyet 3D nyomtató segítségével (PRO 4K; Asiga) kinyomtattunk (7–10. ábra) . A gingivectomiát ennek segítségével elvégeztük. Ezenkívül rendelői fogfehérítés is történt, valamint a felső frontfogak incizális élét kompozit tömőanyag segítségével kiegészítettük (11.–12. ábra). Az elért állapot stabilitásának fenntartása érdekében mélyhúzott retenciós sín készült (Zendura FLX thermoplasztikus retainer; Bay Materials). A mélyhúzott sínt a PRO 4K nyomtatónk által készített modellre készítettük el. A sín pontosságát és feszülésmentes illeszkedését a páciens is észlelte. A kezelés során felhasznált retainerek és modellek mind az AORTA fogtechnikai laboratóriumban készültek.
Második esetbemutatás
A 14 éves páciens szintén a mosolyának minimálinvazív módszerekkel történő javítását kérte. Elzárkózott rögzített fogszabályzó készülék viselésétől. Jelentős mértékű (kb. 3 mm-es) ínymosoly volt megfigyelhető mosolygás közben a felső első kisőrlőfogai között (14–24). A páciens felső középvonala és az arc középvonala egybeesett, valamint vékony felső ajakkal rendelkezett. Ezenfelül mindkét oldalon Angle Class I relációs helyzetet, 4 mm-es overjetet és 80%-os overbite-ot figyelhettünk meg (13–15. ábra). A páciens közepes biotípusú ínnyel és egészséges parodonciummal rendelkezett. Nem észleltünk lokalizált vagy generalizált gingivitis fennállására utaló jeleket. A páciens nem rendelkezett fogazati restaurátumokkal, és szuvas léziókat sem észleltünk. Kezdetben tizennyolc hónapon keresztül 4 naponta cserélte az alignereket (fogívenként 39-39 darabot), majd végül a finomhangoláshoz hetente (2-2 darabot). Az eredményeket a felső frontfogak intrúziójával, a felső fogív szélesítésével és a bukkális háromszögek szimmetrikus kialakításával értük el. A retenciós fázis során átlátszó termoplasztikus műanyagból készített mélyhúzott síneket használtunk, amelyet a fogtechnikai laboratóriumunkban lévő PRO 4K nyomtató segítségével készítettünk el.
Az overjetet 1,5 mm-re, az overbite-ot pedig 30%-ra csökkentettük. Ebben az esetben nem volt szükség protetikai ellátásra, vagy lágy szöveti augmentáció végzésére. A frontfogak intrúziójának mértéke 1,5–2,9 mm között mozgott. Ezzel sikeresen megszüntettük a páciens ínymosolyát (16–17. ábra).
Bukkális háromszögek
Ebben a fejezetben azt fogjuk körüljárni, hogy hogyan lehet alignerek segítségével az arc aszimmetriáját ellensúlyozni. Az AORTA elvek arra sarkallják a kezeléseket végző orvosokat, hogy az esetek kiértékelése során extraorális, periorá-







18. ábra: Kiindulási felvétel. – 19. ábra: A páciens mosolyáról készített közeli felvétel. – 20. ábra: A kezelési célok bemutatása az AORTA kezelési protokollok segítségével. – 21. ábra: Kiindulási arcfotó. – 22. ábra: Az Invisalign szoftver segítségével egymásra vetítve tudjuk megfigyelni a kiindulási (kék) és a tervezett végső állapotot (fehér). – 23. ábra: Az orthodonciai kezelés befejezésekor készített felvétel. – 24. ábra: A páciens mosolyáról az orthodonciai kezelés befejezését követően készített közeli felvétel.






lis és intraorális paramétereket is rögzítsenek. A páciensek bukkális háromszögeinek vizsgálata során az arcszimmetriát is figyelembe kell venni, valamint meg kell határozni az arc középvonalának lefutását. A megfelelő referenciapontok ismeretében a fogorvosok meg tudják határozni a bukkális háromszögek között fennálló eltéréseket és ezeket az arc esztétikájával párhuzamosan tudják kiértékelni.
Az alignerek segítségével lehetőségünk van a fogívek nem sebészi módszerekkel történő szélesítésére, amely előnyös lehet a bukkális háromszögek méretének csökkentése, valamint az arc esztétikájának javítása során. A jól megjósolható eredményeket biztosító AORTA SAC protokollokat követve a bukkális háromszögek méretét akár 2–4 mm-rel tudjuk csökkenteni. A kezelés során az arc aszimmetriáját próbáljuk ellensúlyozni, és ehhez gyakran a felső fogív nem parabolikus tágításához folyamodunk.
Első esetbemutatás
A páciens szebb mosolyt szeretett volna. Gyermekként rögzített fogszabályzó készüléket viselt, és a megelőző

25. ábra: Kiindulási felvétel. – 26. ábra: A páciens mosolyáról készített közeli felvétel. – 27. ábra: A felső fogívről okkluzális irányból készített felvétel. – 28. ábra: Az Invisalign szoftver segítségével egymásra vetítve tudjuk megfigyelni a kiindulási (kék) és a tervezett végső állapotot (fehér). – 29. ábra: Az orthodonciai kezelés befejezésekor készített felvétel. – 30. ábra: A páciens mosolyáról az orthodonciai kezelés befejezését követően készített közeli felvétel. – 31. ábra: A felső fogívről az orthodonciai kezelés befejezését követően okkluzális irányból készített felvétel.
orthodonciai kezelés részeként a bal alsó első kismetszőfoga eltávolításra került. A felső metszőfogainak incizális éli lefutása fordított irányba mutatott, a jobb oldali bukkális háromszögek nagyobbak voltak. A kezelés célja a felső fogak harmonikus elhelyezkedésének biztosítása, és a felső fogív nem-parabolikus szélesítése volt. Ezen felül a bukkális háromszögek aszimmetriájának csökkentését és az interpupilláris vonallal párhuzamos incizális éli lefutás kialakítását tűztük ki célul (18–22. ábra).
A mosoly rendezésének az a kulcsa, hogy kiválasszuk azt a fogat, amelyhez képest az elmozdulásokat tervezzük. Ezt az elvet követve lehetőségünk van az arc aszimmetriájának tervszerű korrekciójára. Ebben az esetben a jobb felső nagymetszőt választottuk referenciafognak. Ehhez a foghoz képest extrudáltuk a többi fogat a fejjel lefelé mutató incizális éli lefutás korrekciója során. A kezelési idő 13 hónap volt, amelybe a fogszabályzó kezelésen kívül egy rendelői fogfehérítés is beletartozott. A kezelést 5 évvel ezelőtt fejeztük be. Azóta a páciens éjszakai retenciós készüléket visel (23–24. ábra).
Második esetbemutatás
A páciens a mosolyának javítása céljából érkezett a rendelőnkbe. A mosolyvonala keskeny volt, és emellett kétoldali hátsó és a jobb felső kismetszőfogának megfelelően első keresztharapással rendelkezett. Extraorális vizsgálat során arcaszimmetriát is észleltünk (25–28. ábra). A kezelés célja a keresztharapások megszüntetése, az aszimmetrikus bukkális háromszögek korrekciója és a mosoly szélesítése volt. A tervezett fogmozgatások elvégzését követően rendelői fogfehérítést végeztünk, valamint a felső kismetszőket kompozit tömőanyag segítségével kiegészítettük (29–31. ábra).

Additív korrekciók –a Virtuális Interdiszciplináris Mosoly Szimulátor (Virtual Interdisciplinary Smile Simulation) bemutatása
A cikk utolsó részében a Virtuális Interdiszciplináris Mosoly Szimulátorral (Virtual Interdisciplinary Smile Simulation, VISS; 14. ábra) megtervezett eseteket fogom ismertetni. Ez a program az alignerekkel végzett kezelések végén történő additív kiegészítések utáni állapot páciensek részére történő bemutatására szolgál. Az AORTA digitális diagnosztikai és tervezési szolgáltatása 2018 óta nagy fejlődésen ment keresztül. Az AORTA digitális labor bármely aligner rendszerrel végzett kezelés eredményét képes digitálisan létrehozni és ezt bármilyen direkt vagy indirekt restaurátummal vagy lágyrészplasztikával kiegészíteni.
A virtuális mosoly szimulátor kifejlesztése mögött az a gondolat állt, hogy ezáltal még jobban elő tudjuk segíteni a páciensek végső állapot elérésével kapcsolatos elköteleződésének kialakítását. A diagnosztizálás, a tervezés és a vizualizáció közös digitális platformra való helyezésével jelentős előnyöket lehet elérni.
A szoftver lehetőséget ad arra, hogy a diagnosztizálás és a kezeléstervezés során a kezelőorvos extraorális, periorális és intraorális szinten is egyaránt hatékonyan érvényesítse az orthodonciai, protetikai és esztétikai elveket.
A bármely aligner rendszerrel történő kezelés végén elérni kívánt eredményt szimuláló STL-fájl kiértékelése során a kezelőorvos meg tudja ítélni, hogy esetlegesen szükség van-e még bármilyen kemény vagy lágy szöveti augmentáció végzésére. A lágyrészmenedzsment szempontjából fontos lehet előre tudni, hogy kell-e az ínylefutásban aszimmetriák meg-
jelenésére számítani, vagy esetleg szükség lehet-e a fogméretek utólagos megnövelésére. Ezeket mind előre meg lehet ítélni a virtuális szimuláció segítségével. Amennyiben szükség van a fogméretek vagy fogformák aranymetszés arányainak megfelelő módosítására, akkor az STL-fájlok birtokában bármilyen direkt vagy indirekt restaurátumot képesek vagyunk szimuláltan a fogfelszínekre helyezni. Ez már a kezeléstervezés fázisában választási lehetőségeket ad a páciens és az orvos kezébe. Sőt, ez új szintre emeli a páciens tájékoztatásának módját. Ezt a rendszert alkalmazva több választási lehetőség esetén sokkal magabiztosabban dönthet abban, hogy például a kizárólag protetikai, vagy az alignerek használatára épülő kezelési tervet kívánja inkább elfogadni.
Manapság a legtöbb páciens héjak felhelyezése révén szeretne szebb mosolyt és fehérebb fogakat. Ezen körülmények között még fontosabb, hogy a kezelést végző orvos egyértelműen be tudja mutatni a különböző keze-

31b






32. ábra: A páciensről és a páciens mosolyáról készített felvétel. – 33. ábra: A páciens arcáról készített kiindulási felvétel és az Invisalign szoftverben készített kezelési szimuláció. – 34. a–e ábra: A VISS szoftverrel készített kezelési szimuláció. a és d, kiindulási állapot; c és e; restauratív ellátást követően látható állapot (lila). – 35. ábra: A fogszabályzó kezelés befejezését követően a páciens arcáról és mosolyáról készített felvétel. – 36. a–e ábra: A VISS szoftverrel készített kezelési szimuláció. a, kiindulási állapot; b és e, a fogszabályzó kezelés befejezését követően látható állapot; c és d, a restauratív ellátást követően látható állapot. – 37. ábra: A páciens arcáról és mosolyáról a fogfehérítés és restauratív ellátás elvégzését követően készített felvételek.
lésekkel elérhető végeredményeket és az ehhez vezető lépéseket. Itt jól megmutatkozik a kizárólag héjak készítésével végzett és az alignerekkel történő fogmozgatásokat követően minimálinvazív direkt restaurátumok készítésén alapuló kezelések közti különbség. A kezelőorvos be tudja mutatni, hogy milyen mértékű foganyagelvételre van szükség a szabálytalan helyzetben lévő fogak héjakkal történő korrekciója során, és hogy ezek milyen kockázatokkal járhatnak. Ezzel párhuzamosan pedig be tudja mutatni, hogy a fogmozgatásokat követően készített direkt vagy indirekt restaurátumok készítése milyen invazivitással járna.
Az alábbi esetbemutatások segítségével szeretném demonstrálni, hogy milyen előnyökkel jár a VISS használat, és hogy ez hogyan segíti a páciens és az orvos közös döntési mechanizmusát az alkalmazott terápia kiválasztása során. A kezelés minden aspektusának teljes transzparenciája telje-
sen új szintre emeli a páciens tájékozottságának mértékét. A módszer alkalmazásának köszönhetően sokkal egyértelműbben le lehet kommunikálni és át lehet hidalni a páciens igényei és a terápiás opciókkal elérhető eredmények közti különbségeket (31. a–b ábra).
Első esetbemutatás
A 20 éves hölgypáciens szebb mosolyt szeretett volna. Elülső keresztharapástól szenvedett, amely következtében a fogain kemény szöveti sérülések alakultak ki. Az alsó és felső középső metszőfogain zománc- és dentinsérülések voltak megfigyelhetőek. Előzőleg egy másik rendelőben is járt, ahol a fogazatának a helyreállítására vonatkozó kezelési tervben csak egy héjak készítésével járó opció szerepelt. Úgy döntöttem, hogy az alignertervező szoftver segítségével megmutatom számára, hogy mit tudunk elérni fogszabályzó kezeléssel, és ezt követő -






38. a–b ábra: A páciens mosolyáról az aligneres kezelés előtt (a) és után készített felvételek (b). – 39. a–b ábra: A páciens mosolyáról az aligneres kezelés (a), valamint a lágyrészplasztika és héjkészítés után (b) készített felvételek. – 40. a–b ábra: A páciens mosolyáról az aligneres kezelés, valamint a lágyrészplasztika és héjkészítés után készített felvétel (a). Kiindulási állapot (b).
en pedig a VISS szoftver segítségével megmutatom, hogy milyen restauratív opciók állnak számára rendelkezésre. A pácienssel szembeni korrekt és transzparens hozzáállás szellemében még az aligneres kezelés megkezdése előtt demonstrálom a tervezett restauratív fázis menetét és az ezzel elérhető eredményeket. Ezáltal személyesen is megtapasztalhatta és láthatta a teljes folyamat egyes lépéseit.
Ez a bámulatos vizualizációs eszköz (32–34. e ábra) kifejezetten alkalmas a páciens tájékozott beleegyezésének biztosítására és emellett a kezelést végző orvos érdekeit is védi azáltal, hogy valósághűen bemutatja az egyes terápiás lehetőségek közti különbségeket, veszélyeket és előnyöket. A páciens saját szemével láthatja, hogy milyen mértékű foganyagelvételre van szükség a kizárólag protetikai módszerekkel történő helyreállítás során és hogy ez milyen veszélyekkel járhat. Ez a módszer felette áll minden szóbeli tájékoztatásnak vagy a beavatkozás menetét szemléltető brosúrának.
A páciens, a VISS-sel történő demonstrációt követően, az alignerekkel való kezelést választotta. A fogszabályzó kezelés 10 hónapig tartott. Ezt követően újra áttekintettük a direkt és indirekt helyreállítással járó lehetőségeit. A páciens rendelői fogfehérítés, majd a felső frontfogainak és az alsó középső metszőfogainak IPS e.max (Ivoclar) héjakkal történő ellátása mellett döntött (35–37. ábra).
Második esetbemutatás Ez az eset jól prezentálja a VISS alkalmazásának előnyeit kizárólag restauratív, vagy kizárólag aligneres, valamint kombinált kezelések esetén. Ez a technológia lehetővé teszi számunkra, hogy egyértelműen megértessük a pácienseinkkel a rendelkezésre álló lehetőségeket, valamint arra, hogy nem kell feltétlenül két terápia közül választa -
41. ábra: A páciens arcáról és mosolyáról a kezeléstervezés során készített felvételek. – 42. ábra: A páciens arcáról az aligneres kezelés megkezdése előtt készített felvétel, valamint az Invisalign szoftveres szimuláció. – 43. ábra: A páciens arcáról és mosolyáról készített felvétel. Ebben a stádiumban már az aligneres kezelés után vagyunk, de a lágyrészplasztika és héjakkal történő ellátás még nem került elvégzésre.










44. ábra: A VISS szoftver gyakorlati alkalmazása. A két felső kismetszőnél végzett lágyrészplasztika és héjkészítéssel elérhető eredmények páciens számára történő prezentálása. – 45. ábra: A nyolc felső frontfognál végzett lágyrészplasztika és a régió héjakkal történő ellátásával elérhető eredmények bemutatása. – 46. ábra: A fogfehérítés, lágyrészplasztika és héjkészítés után látható állapot. – 47. a–d ábra: A páciens mosolyáról készített kiindulási felvételek (frontális, okkluzális és laterális irányból).







48. ábra: A kezelési terv VISS szoftverrel történő bemutatása. Kiindulási állapot, a hat darab héj készítésével elérni kívánt állapot (lila), a tervezett végső állapot. – 49. ábra: A kezelési terv VISS szoftverrel történő bemutatása. Kiindulási állapot, fogszabályzó kezelés végén elérni kívánt állapot, a direkt felépítés után elérni kívánt állapot (lila).
50. ábra: A lágyrészplasztika, fogfehérítés és héjakkal történő ellátás elvégzését követően elért állapot.
niuk, hanem a kettő kombinációja is rendelkezésre állhat számukra. A páciens elülső keresztharapással rendelkezett (felső középső metszőfogak), valamint a felső kismetszők mérete a nagymetszőkhöz képest aránytalanul kicsi volt. A bukkális háromszögek között aszimmetria állt fenn, valamint ínymosoly is megfigyelhető volt. A páciens héjakkal szerette volna a mosolyát helyreállítani (38. a–41. ábra).
Az alignertervező szoftver és a VISS szoftver segítségével egy olyan kezelési tervet prezentáltunk a páciens számára, amelyben orthodonciai és protetikai kezelések is szerepeltek. Először alignerek segítségével próbáltuk meg a bukkális háromszögeknek megfelelően látható aszimmetriát ellensúlyozni, valamint a felső kismetsző körül egyenlő nagyságú réseket nyitni. Ezt 10 hónap alatt tudtuk megvalósítani. Ezután a VISS segítségével két különböző kezelési tervet ismertettünk a páciens számára. Az egyikben a lágyrészmenedzsment mellett a két felső kismetsző került héjakkal ellátásra, a másikban pedig a lágyrészmenedzsmenten kívül nyolc felső frontfoga került héjakkal ellátásra (42–43. ábra). A páciens a nyolc héj készítésével járó megoldást választotta. A lágyrészkontúrok kialakítását követően az optimális színnel és formával rendelkező héjakat IPS e.max-ból készítettük el (44–46. ábra).
Harmadik esetbemutatás
Az utolsó eset egy a tinédzseréveinek a végén járó fiatal páciens mosolyának javítását ismerteti. A közösségi médiában látottak hatására héjak készítését szerette volna, viszont tisztában volt az ehhez szükséges beavatkozás veszélyeivel. A VISS alkalmazása ebben az esetben is hiánypótlónak bizonyult. Be tudtam mutatni a héjak készítésével járó, valamint az alignerek alkalmazását követően a fogak direkt felépítésére alapuló kezelés lépéseit és az ezekkel elérhető eredményeket. A páciens a látottak alapján a lehetséges előnyök és hátrányok ismeretében kiválaszthatta, hogy melyik kezelés végzését kéri. Kellő információ állt rendelkezésére, hogy tá-
jékozott döntést hozzon az alkalmazott terápiával kapcsolatban (47. a–49. ábra).
Számomra is rendkívül előnyös volt a helyzet. Mindkét lehetőséggel kapcsolatban részletesen tájékoztattam. Mindkét opció megfelelt a szakmai elveknek, valamint nagy bizonyossággal elérhető esztétikailag elfogadható eredményekkel járt. Az én felelősségem az volt, hogy vizuális segédeszközökkel alátámasztva a páciens számára érthető módon bemutassam a különböző kezelések előnyeit, hátrányait és veszélyeit. A páciens az aligneres kezelést választotta. A fogszabályzó kezelés 6 hónapig tartott. Ezt követően rendelői fogfehérítést végeztünk, valamint kompozittal kiépítettük a felső kismetsző fogait (50. a–d ábra).
Összefoglalás
A fenti esetek jól példázzák, hogy a digitális kezeléstervezés révén bemutatásra kerülő kezelési alternatívák milyen hatékonyan segítik elő a páciensek esztétikai igényeinek előre jól megjósolható végeredménnyel járó kielégítését. Az alignerekkel végzett kezelések során komprehenzív és minimálinvazív módon tudjuk a páciens esztétikai megjelenését javítani. A VISS szoftver alkalmazása lehetőséget biztosít arra, hogy a diagnosztizálás, a kezeléstervezés és a páciens motivációjához szükséges kezelési eredmény vizualizáció egy közös digitális platformon valósuljon meg. Azonban ehhez nyitnunk kell a digitális munkafolyamatok felé. A rendelő digitalizálásának első lépése egy orálszkenner és egy 3D nyomtató beszerzése. A nyomtatót használhatjuk rendelőn belül, vagy a fogtechnikai laborban is elhelyezhetjük. Az általunk elérni kívánt célhoz magas technológiai színvonalat képviselő, a PRO 4K-hoz hasonló műszaki jellemzőkkel rendelkező nyomtatók szükségesek.
Forrás: Cosmetic Dentistry 2023/1
Dr. Sebastian Däröste (Norvégia)
MEGBÍZHATÓ ÉS MINIMÁLISAN INVAZÍV
MOSOLYÁTALAKÍTÁS
AZ ABC-KONCEPCIÓVAL
(ALIGN-BLEACH-COMPOSITE)
Egyre több páciens keres enyhe és gyengéd megoldásokat az egészségesebb mosolyért. A jelenlegi anyagoknak és szoftvereknek köszönhetően lehetőségünk van arra, hogy minimálinvazív módon, tökéletesebb mosolyokat hozzunk létre. A mai technikáknak köszönhetően sok esetben elkerülhető a fogszövetek eltávolítása, amelyet a különböző kerámia megoldások helyének megteremtése érdekében alkalmaznak.
Eset bemutatása
Egy 30-as évei végén járó férfi, meziálharapással (Angle III. osztály) és élharapással jelentkezett, amely hozzájárult a frontfogai kopásához (1. ábra).
A páciens hosszabb metszőfogakat szeretett volna, a látható kompozit töméseket kicseréltetni és a diasztémát bezárni. A páciens elutasította az „ideális alternatívákat”, például az állkapocsműtétet és/vagy a foghúzásokat, de továbbra is megoldást akart a problémára. Nem akart kerámiát sem, ami a felső és alsó metszőfogak preparálásával járt volna, bár ez lényegesen gyorsabb eljárás lett volna. A beteg inkább a minimálisan invazív megközelítést részesítette előnyben.
Fogszabályozás átlátszó (clear) fogszabályozókkal

1. ábra: (a) Kiinduló helyzet a III. osztállyal (Angle) és az ebből következő fogkopással. b) Az átlátszó fogszabályozó-terápia kiinduló pontja és az attachmentek megjelölt helyei. c) A clear aligner terápia utáni tényleges végső helyzet jól megfelelt a (d) szimulált végső helyzetnek.
Egyszerű és tartós attachmentek G-ænial
Universal Injectable anyagból
A meziálharapás kompenzálására, majd a kopott metszőfogak felépítésére fogszabályozóterápiát alkalmazó „Camouflage terápiát” javasoltunk, amelyet a beteg elfogadott. Egy éven át, 50 darab átlátszó (clear) fogszabályozóval végzett kezelés után, anélkül, hogy további fogszabályozókra lett volna szükség, elegendő horizontális túlharapást (overbite) sikerült elérni a kompozit héjak elhelyezéséhez. Az ínyszimmetria is javult, arányosabb távolsággal a metszőfogak között, így elkerülhetők voltak a túl széles nagymetszők (1. és 6. ábra). Az aligner kezelés utolsó fázisaiban a fogakat 10%-os karbamid-peroxid géllel is fehérítettük.
A JE árnyalatú G-ænial Universal Injectable-t (GC) használtunk az attachmentek elkészítéséhez, mivel tartós, a színe szépen igazodik és könnyen alkalmazható a rögzítési sablonnal.
Bondozás után a kompozitot felvittük a rögzítési sablonba. A sablont ezután a fogakra helyeztük, és enyhe nyomás alatt az attachmenteket fénypolimerizáltuk (2. ábra). Itt megjegyezném, hogy a G-ænial Universal Injectable a fogszabályzó kezelés után a retainer attachmentjeinek rögzítéséhez is remek választás.


2. ábra: Az attachmenteket (G-ænial Universal Injectable, GC) rögzítő sablonnal helyeztük el. – 3. ábra: Az egyes és a kettes számú sablon EXACLEAR-ből (GC). Az első sablonnal a fogak felét (váltakozva) építettük fel, míg a második sablonnal az öszszes fogat. A két sablonnal végzett munka során kevesebb felesleget kell eltávolítani, ami pontosabb eredményt eredményez és jelentősen csökkenti a kezelési időt.

2 4 3

4. ábra: A régi kompozit eltávolítása után a dentinréteget (G-ænial Universal Injectable) ujjtechnikával szabadkézzel helyeztük fel. – 5. ábra: G-ænial Universal Injectable (B1 árnyalat) injektálása az EXACLEAR sablonba (kép: kettes számú sablon).
Kompozit héjak fogszabályzó kezelés
után
A régi kompozitok eltávolítása után Injection Moulding technikával készítettük el a kompozit héjakat (3. ábra). Először egy réteg G-ænial Universal Injectable dentin árnyalatot (AO2) szabad kézzel hordtunk fel a fogra, hogy elkerüljük a látható átmeneti vonalat a régi törésnél (4. ábra). Két, szilárd átlátszó szilikonból (EXACLEAR, GC) készült sablont használtunk. Ezután a G-ænial Universal Injectable (B1 árnyalat) anyagot injektáltunk az első sablonba, miután minden második fogat teflonszalaggal izoláltunk. A felesleget eltávolí-

tottuk, majd ugyanezt az eljárást a kettes számú sablonnal is elvégeztük (5. ábra). Az előtte és utána képek közvetlenül a befejezés után készültek. Az íny fokozatosan javulni fog a következő néhány hónapban (6. ábra).
Konklúzió
A fogszabályozó készülékek, a fogfehérítés és a kompozit kombinációjával minden elem jelen van a tökéletes mosoly megteremtéséhez: a megfelelő fogpozíció, fogárnyalat és forma ésszerű, minimálisan invazív módon hozható létre. Egyszerű, mint az ABC!


6. ábra: Előtte (fent) és utána (lent) képek, a fogszabályozó kezelés után és a hat kompozit héj injection moulding technikával.

G-ænial™ Universal Injectable
Magas erősségű restauratív kompozit

Alakítsa át a munkamódszerét Formálja és alakítsa ki az injektáláskor
Kivételes szilárdság és kopásállóság Hosszan tartó helyreállítások kivételes fény megtartással
Hajlítható csőr Könnyű hozzáférés és nagyszerű adaptáció az üreg minden sarkához
Univerzális indikációk Gyors behelyezés, kiváló kezelhetőség és esztétikum, mindem kavitáshoz (I-V. osztály)
GC EUROPE N.V. info.hungary@gc.dental https://www.gc.dental/europe/hu-HU

Egyszerűen szép – ennek a páciensnek
Az egyik alap a jól átgondolt eljárás és a csapaton
technikusoknak tisztában kell lennünk azzal,
fogpótlás elkészítése során hozunk,
Ebben az esetben fontos volt, hogy a héjak
magas esztétikai minőséget

páciensnek a kívánsága teljesülhetett. csapaton belüli koordináció volt. Nekünk, fogazzal, hogy minden döntésünknek, amelyet a hozunk, következményei vannak. stabilitására összpontosítsunk, ugyanakkor minőséget is elérjünk.
Böröczky Attila
EGYSZERŰEN SZÉP: TERMÉSZETES
HARMÓNIA
PRÉSKERÁMIÁVAL
(IPS E.MAX PRESS)
Az esztétikai-restauratív kezelésekben számos szempont szorosan összefonódik. Ez különösen így van egy komplex kezelés esetén, ezért a sikeres eredmény csak a fogorvosi rendelő, a fogtechnikai laboratórium és a páciens közötti szoros együttműködéssel érhető el. A szerző felhívja a figyelmet a helyzet konkrét elemzésén alapuló, jól átgondolt eljárásra. A fogtechnikai laboratóriumban többek között az anyagválasztás és a gyártás módja a sikert meghatározó tényezők. A bemutatott beteg esetében a préskerámia (IPS e.max Press, Ivoclar) vezetett a célhoz.
„Legyen egyszerűen szép” – ez a páciens kívánsága az esztétikailag indikált kezelés esetén. De ami a végén egyszerűen szépnek látszik, azt nem mindig egyszerű elérni. Gyakran találkozunk olyan összetett esetekkel, amelyeknél az egyszerű esztétikai korrekció nem jöhet szóba. A bemutatott eset kihívást jelentett a kezelő fogorvosnak és számomra mint fogtechnikusnak is.
A páciens az elülső régióban jelentős fogeltéréssel – szkeletális frontális nyitott harapással – jelentkezett (1. ábra). A páciens esztétikai javulást akart. Fogászati állapota összetett okokra vezethető vissza. Az Angle III. osztályra való hajlam (túlméretezett alsóállkapocs-fogív), amelyet nem diagnosztizáltak időben, valamint a reflux miatt fennálló folyamatos savas expozíció ideális feltételeket teremtett a fokozott fogkopáshoz és az alsó állkapocs ebből eredő funkcionális elmozdulásához. Kezdetben a fogszabályozást rögzített készülékekkel végezték (2. ábra). A felső elülső fogakat direkt rekonstrukciókkal építették fel, és megszüntették a felső és alsó állkapocs közötti funkcionális eltérést (3. ábra). A beteg már ekkor elégedett volt a kezelés eredményeivel.
Fogtechnikai elemzés
Ekkor az esztétikai rehabilitáció került a középpontba. A 13–23. fogakat teljes kerámiahéjjal kellett helyreállítani. Ami ebben az esetben első látásra lenyűgöző, az az alsó állkapocs természetes fogainak gyönyörű mamelonstruktúrája (4. ábra). A fogorvos hangsúlyozta, hogy ezt a sokrétű belső színjátékot szeretné átültetni a kerámiarestaurációkba. Azt kérte, hogy próbálják meg reprodukálni a gyönyörű átlátszóságot, valamint a mamelonstruktúrát, amennyire az anyag és a technika, valamint a fogtechnikai készség és a művészi képesség lehetővé teszi. Sok éve dolgozunk együtt, és tudtuk, hogy számíthattunk a sikeres csapatmunkára.
Munkám megkezdése előtt felmértem a jelenlegi fogászati helyzetet esztétikai szempontból. A fogorvos azt tanácsolta

1. ábra: Kiindulási helyzet (szkeletális nyitott harapás) és Angle III. osztály felé mutató tendencia

2. ábra: Helyzet a fogszabályozás során

3. ábra: A fogszabályozó kezelés után, a restaurációs fázis kezdete.

4. ábra: Az alsó állkapocs természetes elülső fogainak lenyűgöző mamelonstruktúrája. Ezt kellett pontosan leutánozni.
a páciensnek, hogy keresse fel a fogászati laboratóriumot. A tapasztalat azt mutatja, hogy a páciens és a fogtechnikus közötti személyes találkozás során sokkal több információ nyerhető, mint a fényképekből. A páciens laboratóriumi látogatása során egyik célom az volt, hogy azonosítsam a fogak jellemzőit és a sajátos vonásokat, valamint hogy átfogó képet kapjak a fiatal hölgyről. Számomra a személyes kapcsolat döntő szerepet játszik egy esztétikus restauráció elkészítésében.
Ez az eset arra is példa, hogy a digitális technológiák megkönnyítik a cél reprodukálható módon történő elérését. Egy digitális wax-up alapján könnyen és egyszerűen elkészíthető egy 3D mosolyterv (mock-up), és – a fogorvossal együtt –minimálisan invazív módon értékelhető a szájban. A kívánt helyzet előzetes szimulációjának köszönhetően a terv öszszehangolható a beteg kívánságaival még a manuális kidolgozás megkezdése előtt.
Anyagválasztás
A páciens kérésére a kerámiahéjakkal jelentősen meg kellett hosszabbítani az elülső fogakat. Az anyagválasztás döntő fontosságú a hosszú távon stabil eredmény szempontjából. Ebben az esetben három tényezőt kellett a lehető legjobban összehangolni: szilárdság, stabilitás és esztétikai igények. Az anyagnak mindhárom szempontnak meg kell felelnie. És ha őszinték vagyunk, a fogászati technológia iránti szenvedélyünk ellenére egy negyedik szempontot sem lehet figyelmen kívül hagyni: a munka mennyiségét. Ezenkívül ott vannak a megfelelő kézműveskészségek is. A fogtechnikai ismeretek mellett kreatív és művészi készségekre is szükség van. Minden fogászati helyreállítás a fogtechnikus technikai kifinomultságát, motivációját és hangulatát, valamint a rendelkezésre álló időt tükrözi. Páciensünk esetében három lehetőséget mérlegeltem a héjak elkészítésére:
• réteges héjak tűzálló csonkokon,
• préselt héjak labialis rétegződéssel,
• teljesen anatómiai héjak sajtolási technikával.
A rendelkezésre álló információk alapján elvileg mindegyik megvalósítása lehetséges volt. Ezért kritikusan kellett mérlegelni a három eljárás előnyeit és hátrányait, majd kiválasztani a lehető legjobb módszert és az optimális anyagot. Ha az esztétika a döntő tényező, akkor véleményem szerint a tűzálló csonkokra rétegezett héjak a megfelelő módszer.

5. ábra: A 13–23. fogak minimálisan invazív előkészítése a teljes kerámiaburkolatokhoz.
Ha az esztétikán kívül más szempontok is fontosak, például a stabilitás, akkor tisztában kell lennünk azzal, hogy ez mit jelent az adott gyártási technikára nézve. Ebben az esetben az elülső fogak meghosszabbítása volt a döntő tényező. A restaurációk nagy szilárdságára és stabilitására volt szükség. Ezért a tűzálló csonkokra történő rétegezés nem volt lehetséges. A döntés a préselt restauráció mellett született. A préselt kerámiák nagyobb szilárdsági értékekkel rendelkeznek, és így nagyobb stabilitást nyújtanak, mint a klasszikus rétegkerámia. Ettől eltekintve a tűzálló csonkokon történő rétegezés technikailag igényes és időigényes is. A munkafolyamat bizonyos szintű kézügyességet igényel. Most egy másik kérdésre is választ kellett adni. A préselt restaurációkat a Cut-Back után leplezni kell, vagy teljesen anatómiaiaknak kell lenniük? Ez a döntés nagyon nehéz volt számomra. A választ ezért egyelőre „elhalasztottam”, és a munkafolyamat más lépéseit részesítettem előnyben.
Előmunkálatok a fogászati laboratóriumban
A fogak preparálása után (5. ábra) a szituációt hagyományos módon kiöntötték, majd modelleket készítettek. A tapasztalat azt mutatja, hogy három munkamodell készítése hasznos:
• Fűrészelt modell, amelyre a restaurációkat gyártják
• Mestermodell, az approximális és okkluzális érintkezések ellenőrzéséhez
• Kontrollmodell az illeszkedés pontosságának ellenőrzésére. Ha a fűrészelt modell megsérül, a kontrollmodell nélkülözhetetlen.
A fogak új morfológiájának kidolgozásához készítettem egy wax-upot. A héjak felviaszolása nem könnyű a törékeny restaurációk esetében. Ha a csonkok jól izoláltak, a viaszszerkezetek könnyen megcsúsznak, megsérülnek, vagy legroszszabb esetben eltörnek. Ha a csonkok kevésbé jól izoláltak, a restaurációk deformálódhatnak és/vagy tönkremehetnek az eltávolítás során. Ezért a filigrán szerkezetek gyártásakor gondosan kell eljárni. A digitalizálás fejlődésének köszönhetően a terv elkészítése és végül a digitális gyártás is könnyen elvégezhető (3Shape Dental Designer) (6. ábra). Egy csapatként együttműködve teljesen a páciens igényeihez igazítottuk a fogpótlások formáját és morfológiáját. A modern technológiák ezt nagyon megkönnyítik. Mindenekelőtt a beállítás azonnal lehetséges, amit nagy előnynek tartok.


A wax-up alapján most már meg lehetett állapítani a kívánt fogforma és a preparált fogak közötti távolságot. Ez az információ fontos ahhoz, hogy a szükséges anyagvastagságokat megőrizzük, és szükség esetén a héjakat labialis rétegződéssel tudjuk ellátni (7. és 8. ábra). A héjak nagyon vékony falvastagsága és az egyidejűleg szükséges foghosszabbítás miatt úgy döntöttem, hogy teljesen anatómiai préselést alkalmazok. Fontos volt, hogy ez az eljárás ne menjen az esztétika rovására. Miután a fogászati tervezés elkészült, a páciens eljött a laboratóriumba. Most a hangsúly a fogszínre és annak jellemzőire helyeződött. Fényképek készültek, és a fogakról színtérképet készítettek.
A héjak gyártása
A megtervezett restaurációkat CAD/CAM támogatással viaszkorongból marattuk ki, a peremterületeket mikroszkóp alatt finomítottuk a fűrészelt modellen, és az illeszkedést a kontrollmodellen ellenőriztük. A préselemet (IPS e.max Press, Ivoclar) az anyagvastagságnak és a kívánt fogszínnek megfelelően választottuk ki. Vékony falvastagságok esetén, mint ebben az esetben is, figyelembe kell venni a csonk színét is. Az én nagy kedvencem az IPS e.max Press MT munkadarab közepes áttetszőséggel, a restaurációk többségét a laboratóriumban ebből készítem. Az anyag természetesnek tűnő, nagy átlátszóságú, így szép és esztétikus eredményeket nyújt (9. és 10. ábra).
A préstechnológia mára tökéletesen kiforrott és rendkívül precíz. Ha az ember követi a gyártó utasításait, és például Programat EP 3010 préskemencét (Ivoclar) használ, jó préselési eredményre számíthat. Ha hibás illeszkedés előfordul,



a hiba általában a felhasználót terheli. A beágyazás anyaga is fontos szerepet játszik. Szeretek az IPS PressVest Premium (Ivoclar) finomszemcsés beágyazóanyaggal dolgozni. A reakciós réteg a préselés után könnyen eltávolítható. A gyártó azt ajánlja, hogy a restaurációk 4 bar nyomáson (durva kiágyazás), majd finom szóróanyaggal 2 bar nyomáson (finom kiágyazás) legyenek kiágyazva.
Az eljárás során a teljes kerámiához vagy üvegkerámiához megfelelő csiszolóeszközöket kell használni. Először a préscsatornákat távolítottam el egy vékony vágókoronggal, majd a héjak széleit és felületét finom gyémánt- és közepesen finom kerámiapolírozóval munkáltam meg, majd ezután a makrotextúrát készítettem el. A préselés eredménye nagyon pontos volt, ezért csak minimális átdolgozást kellett végezni. Mindig mikroszkóp alatt ellenőrzöm az illeszkedést. A felületi textúra kialakítása után a monolitikusan préselt restaurációkat festési technikával karakterizáltam. Erre a célra az
6. ábra: Digitális wax-up (Dental Designer, 3Shape).
7. ábra: A kívánt foghosszabbítás ábrázolása.
8. ábra: A hézagok helyének (labialis) és rétegvastagságának felmérése.
10. ábra: Préselt héjak (IPS e.max Press MT) a kiágyazást és a lefúvást követően.
9. ábra: A préselési eljáráshoz felcsiszolt héjak.
Nagy látómező

i900
ALL IN ONE
ALL IN ONE intraorális szkenner a könnyed szkennelési élményért
360 fokos érintőgyűrű ki- és bekapcsolás bármilyen szögből
Touchpad egyszerű navigáció 10 bites technológia
Résmentes készülékház kiemelkedő higiénia
Mindössze 165g (fejjel együtt)

Kis létszámú MEDIT hands-on kurzusok soproni bemutatótermünkben. Információ: +36 20 9510368

11. ábra: A héj a karakterizálásra és a fényesség beállítására szolgáló kézi polírozás után.

ábra: Első pillantás a tükörbe. A páciens a kész restaurációval.
IPS Ivocolor (Ivoclar) festő és mázoló rendszert használom. Amit különösen szeretek benne, az az árnyalatok és esszenciák széles választéka. A 35 különböző anyag lehetővé teszi, hogy néhány lépésben bármilyen fogszínt utánozhassunk, és minden elképzelhető mintát karakterizáljunk. Ebben az esetben a természetes alsó fogak mamelonstruktúrája volt a mércénk. A „puha” rétegezéshez IPS Ivocolor-t használtam, és optimalizáltam a mázpaszta állagát, hogy finom mikrotextúrákat hozzak létre. Az erős fényesség selymes csillogássá alakítása érdekében az égetés után a restaurációkat gyémántpasztával és kecskeszőr kefével políroztam, majd a felületet egy finom OptraFine Finisherrel (Ivoclar) véglegesítettem (11. ábra). A gyönyörű selymes fénye ideálisan illeszkedik a természetes szomszédos fogakhoz (12. ábra)
Eredmény

12. ábra: A héjak természetes felületi textúrája és selymes fénye az elkészítés után.

ábra: Az alsó állkapocs természetes fogain levő lenyűgöző mamelonstruktúrák sikeres utánzása.

15. ábra: Közelkép – a préselt héjak (IPS e.max Press) természetes megjelenésű integrálása a fogászati környezetbe.
rápia megérte számára, az eredmény felülmúlta a várakozásait. A fogpótlások természetesen illeszkedtek a szájába, és jól illeszkedtek az arcához és a mosolyához. Mi mint munkacsoport is nagyon elégedettek voltunk az eredménnyel. A mamelonstruktúra utánzása jól sikerült (14. és 15. ábra).
Összegzés
Miután megbizonyosodtunk arról, hogy a fog alakja és hoszsza megfelel a páciens kívánságainak (mock-up), a fogpótlásokat átadtuk a fogorvosi rendelőnek. Izgatottan vártuk a behelyezés napját és a páciens visszajelzését. A végleges fotók a héjakkal önmagukért beszélnek, ahogy a páciens öröme is, amikor először látta magát a tükörben (13. ábra) A fogszabályozó előkezelés miatti komplex és költséges te-
Egyszerűen szép – ennek a páciensnek a kívánsága teljesülhetett. Az egyik alap a jól átgondolt eljárás és a csapaton belüli koordináció volt. Nekünk, fogtechnikusoknak tisztában kell lennünk azzal, hogy minden döntésünknek, amelyet a fogpótlás elkészítése során hozunk, következményei vannak. Ebben az esetben fontos volt, hogy a héjak stabilitására összpontosítsunk, ugyanakkor magas esztétikai minőséget is elérjünk. Ezért választottuk a sajtolási technikát (IPS e.max Press, Ivoclar).
13.
14.

Axel Seeger (Németország)
GAZDASÁGOSSÁG, ESZTÉTIKA ÉS TERMÉSZETES FOGAK PÉLDAKÉPPEN
Esztétikus eredményt elérni, de gazdaságosan dolgozni – a következő években egyre inkább ez lesz a fő szabály. Axel Seeger bemutatja, hogyan tud kiválasztott anyagaival és termékeivel kiváló eredményekre jutni.
A megfelelő anyagokkal és helyes technikával kiemelkedő eredményt érhetünk el (1–5. képek) Fontos: a forma, a forma, és még egyszer a forma; aztán a felszín. Persze bizonyos tapasztalatra is szükség van. A szükséges fúró- és csiszolókészlet abszolút áttekinthető. Ezzel időt takarítunk meg, hiszen nem kell állandóan fúrót cserélni, a raktárkészlet is csökken. A teljes készlet összesen nyolc eszközből áll (6–7. képek).
Most tehát koncentráljunk a felület páciensnek megfelelő kidolgozására. A megfelelő festékek és glazúrmassza alkalmazásával jó eredményeket érhetünk el – a kevesebb több
(8. kép). Elengedhetetlen egy jó kályha, ami a gazdaságosságra koncentrál, tökéletesen és egyszerűen kezelhető, és kiemelkedően éget – ezt nyújtja a Dekema Austromat 220as (9–11. képek)
Ha jól beállítva, pontosan éget a kályha, olyan eredményünk lesz, amelyet égetés után szinte ki sem kell dolgozni. Tanács: az idősebb fogak kicsit jobban igénybe voltak véve, ellenben a fiatal fogak erősebben strukturáltak. Folyamatosan készítek fekete-fehér fotókat is, ezeken jobban megfigyelhető a felszín (12–14. képek).

1. kép: Természetes fogak.



2–4. képek: Festett példák.





5. kép: Fiatal és öreg.
6. kép: Fúrókészlet.
8. kép: Festékesdoboz.
9. kép: Dekema Austromat 220.
7. kép: Kidolgozott frontfogak.




























A-dec 500
Prémium kategóriás alsó/felső karos kezelőegység










DELUXE vezérlés, 8+4 LED páciens lámpa, NSK NLZ LED-es mikromotor
2003 ÓTA FOLYAMATOSAN ELNYERTE A LEGJOBB KEZELŐEGYSÉG FŐDÍJAT

5 É V GARANCIA
Csak az a gyártó ad 5 év garanciát a termékére, aki biztos a gyártmánya minőségében
Az A-dec kezelőegységek szervizeléséhez a vételár mindössze átlagosan 1,97%-át teszi ki az évente vásárolt alkatrész. Ebben az A-dec páratlan.
www.a-dec.com/virtual-tour www.dent-east.hu


A-dec/NSK elektromos, nyomaték szabályozott LED-es, ENDO funkciós mikromotor, rpm 100-40000













A-dec 230
Felsőkaros kezelőegység, DELUXE vezérlés, 8+4 LED vagy 4 LED páciens lámpa, NSK NLZ LED-es mikromotor
A-dec 200
Kompakt alsókaros kezelőegység DELUXE vezérlés, 8+4 LED vagy 4 LED páciens lámpa, NSK NLZ LED-es mikromotor









10–11. képek: Égetés utáni példák.


15. kép: Axel Seeger munkamódszeréről többet tudhatnak meg könyvéből: „Make it your own monolithic way”.


Forrás: Das Dental Labor 2023/1
13. kép: Kiindulási helyzet.
14. kép: Végeredmény.
12. kép: Monolit teljes szanálás.




A klinikai próba során ellenőriztük a héjak statikus és dinamikus relációját a lágyszövethez. A szemfogak hosszát minimálisan a VITA ADIVA FULL-ADHESIVE rögzítőrendszer színben illeszkedő bármilyen negatív

dinamikus funkcióját, az elért színhatást, valamint a restauráció minimálisan redukáltuk, majd políroztuk e felszíneket. A beragasztáshoz
illeszkedő 2M2 kompozitját választottuk, elkerülendő a színhatás negatív befolyásolását.
Dubravka Knezović
Zlatarić, Robert Pongrac,
dr. Mirko Soldo (Horvátország)
MAGAS ESZTÉTIKUMÚ HÉZAGZÁRÁS
EGYEDI PRÉSKERÁMIÁVAL
A fogszínű kerámiahéjakkal, minimálinvazív, adhezív technikát alkalmazó beavatkozás a modern fogpótlástan eredményei közé tartozik. A bemutatásra kerülő eset lépésről lépésre szemlélteti, hogyan látható el a front területén kedvezőtlen színhatású, diasztémás fogakkal rendelkező fiatal páciens.

A kiindulási helyzet a felső fronton: többszörös diasztéma, mikrodontia és elfordult kismetszők

A biztos kommunikáció és a szisztematikus előrehaladás érdekében mockup készült a páciens szájában.

A viaszmintázatról készített szilikonblokk orientál, és biztonságot nyújt a preparáció közben.
A megfelelő kerámiaanyag és az illeszkedő fogtechnikai gyártástechnika kiválasztása voltak a döntő faktorok a héjakkal történő magas esztétikájú fogpótlás elkészítéséhez. A speciális eset elemzése, a kezelési eredmény meghatározása, a tökéletes szín kiválasztása, illetve az optimális adhezív protokoll betartása ugyancsak kiemelkedő fontosságúak voltak. A cikk bemutatja, hogyan érhetjük el – előre meghatározhatóan – többszörösen diasztémás fogaknál a magasság-szélesség, a forma, a pozíció és a szín természetesnek ható harmóniáját. A restauráció anyagaként cirkóniumdioxid-erősítésű lítiumdiszilikát préskerámiát (VITA AMBRIA) használtunk, VITA LUMEX AC leplezőkerámiával kombinálva (mindkettő a VITA Zahnfabrik, Bad Säckingen, Németország gyártmánya). Az eredmény színhű, magas esztétikájú teli-kerámia munka.
A klinikai eset
A 25 éves páciens általánosan elégedetlen volt mosolyával, felső frontfogai megjelenésével. Ráadásul igen magas esztétikai elvárásokat támasztott. A klinikai vizsgálat látlelete többszörözött, egyenetlen diasztémát mutatott az esztétikus zónában, mikrodontia és az ahhoz tipikusan kapcsolódó elfordult kismetszők kíséretében. A metszőélek és a szemfogak hegyei enyhén abradáltak voltak, a jobb oldalon valamivel erősebben. Mindenesetre az élek transzlucenciája ezzel teljesen eltűnt. Szituációs lenyomatok készültek, hogy diagnosztikai mintákkal meghatározhassuk a felső és alsó frontfogak egymáshoz viszonyított helyzetét. Így megállapíthatóvá vált, vajon megoldható-e a rések zárása fogszabályozással. Mivel ez nem jöhetett számításba, az esztétikus zóna kerámiahéjakkal történő rehabilitációja mellett döntöttünk.
Fogszín és kommunikáció
A VITA Easyshade V spektrofotométerrel történő színmeghatározás bizonyítottan pontosabb, mint a szemmel végzett. A tö-
Legyen Ön is a VIP Dental
CBCT és Röntgen Központ partnere!
Szeretne folyamatos, kiszámítható és tervezhető, passzív bevételre szert tenni?

Mit nyújtunk?
Közel 20 éves szakmai tapasztalatot a fogászat, mind a fül-orr-gégészet területén.
Legmodernebb, digitális rendszerű csúcstechnológiás gépekkel a legmagasabb minőségű tűéles felvételeket.
Páciensközpontú szemléletünknek köszönhetően gyors és precíz ügyintézést, az ország 4 frekventált helyén lévő centrumainkban. (4,8 google értékelés több, mint 1000 páciens visszajelzése alapján)
Negyedéves legális pénz visszafizetést a páciens forgalom után, vagy bónuszpontokat, amit beválthat bármilyen fogászati eszközre amire csak szüksége van!
Folyamatos CBCT képzéseket!
Orvoslátogatóink bármikor felkeresik Önt, amennyiben gondjuk lenne.
4,8-as átlag
Mit jelent ez nekünk?
Örömünkre szolgál, hogy folyamatosan Önnel együtt fejlődhetünk és kamatoztathatjuk szakmai tudásunkat.
Amennyiben felkeltettük érdeklődésüket, és szeretnének partnerünkké válni, vagy már partnerünk, de nincs még szerződése, kérem keressen engem bizalommal az alábbi elérhetőségemen: iroda@vipdental.hu
Tisztelettel
Vékony Tibor ügyvezető

A preparáció eredménye a simítás és lenyomatvétel előtt.

A preparáció a próbát és a telikerámia héjak beragasztását megelőzően.

A nagy esztétikájú héjak adhezív rögzítése után tapasztalható természetes szín- és fényjáték.
kéletesség érdekében minden felső és alsó frontfogon hárompontos mérést végeztünk a cervikális, központi és éli részen. Az adatok alapján a 2M2 VITA SYSTEM 3D-MASTER alapszín mutatkozott megfelelőnek. Ez megfelel a hagyományos VITA classical A1-D4 kulcs szerinti A2-es színnek. A felső szituációs mintán teljes esztétikai viaszmintázatot készítettünk, idealizált morfológiával. Ezt részlegesen lemintáztuk szilikonblokkal, annak érdekében, hogy folyékony kompozittal feltöltve és a szájba visszahelyezve a páciens számára is láthatóvá és érzékelhetővé tegyük a tervet. Az eredményt megtanácskoztuk, csiszolással és folyékony kompozittal történő kiegészítésekkel vittük véghez a szükséges változtatásokat. Miután minden beavatott elégedett volt az eredménnyel, az idea-
lizált helyzetről újabb lenyomatot vettünk, majd mock-up preparációt végeztünk. Így minimálinvazív módon, a lehető legkevesebb élő foganyagot eltávolítva készítettük elő a fogakat, az adhezív ragasztásra leginkább ajánlott zománcterületen maradva. Ezt követően precíziós alsó-felső lenyomatokat vettünk, és a szilikonblokk segítségével az ideiglenes is elkészült.
Munkafolyamatok a laboratóriumban
A természetes fogak megjelenését utánzandó, VITA AMBRIA üvegkerámia prés-vázakat választottunk, hogy megfelelhessünk a fiatal páciens nagyon magas esztétikai elvárásainak. Az anyagválasztás előrevetíti a színmegvalósítás VITA skála szerinti sikerét, valamint a robusztusságot, a szép megjelenést a transzlucencia, opaleszcencia és fluoreszcencia által. A mestermintákat beszkenneltük, a vázakat virtuálisan a CAD-szoftverben terveztük, majd viaszból kimartuk. Ezeket beágyaztuk, kiégettük, és VITA AMBRIA A2 tömbökből VITA VACUMAT 6000 MP kályhában préseltük. A kidolgozott vázakat VITA LUMEX AC-val lepleztük, ami egyedi, mégis a választott szín területén maradó, színhű fénydinamikát kölcsönzött a héjaknak. Az első dentinégetéshez A3,5 és A3 színű opákdentint, A3 és A2 színű dentint, valamint transzlucens, opál-transzlucens és mamelon effektmasszákat rétegeztünk. A második égetés során a light és clear élmasszákat hordtuk fel. A kidolgozás után, a fényégetés során a VITA AKZENT PLUS Glaze LT porral glazúroztunk.
Behelyezés és összefoglalás
A klinikai próba során ellenőriztük a héjak statikus és dinamikus funkcióját, az elért színhatást, valamint a restauráció relációját a lágyszövethez. A szemfogak hosszát minimálisan redukáltuk, majd políroztuk e felszíneket. A beragasztáshoz a VITA ADIVA FULL-ADHESIVE rögzítőrendszer színben illeszkedő 2M2 kompozitját választottuk, elkerülendő a színhatás bármilyen negatív befolyásolását. Az eset bemutatja, mennyire fontos a színhűség az alkalmazott színkulcs, a váz- és leplezőanyag, valamint a rögzítőkompozit között – csak így lehet szisztematikusan elérni és garantálni az előzetesen megcélzott és megígért eredményt. A páciens mind funkcionális, mind esztétikai szempontból teljesen elégedett volt a kezelés eredményével.
Forrás: Das Dental Labor 2022/12


Essam Ahmed (Egyesült Királyság)
HATÉKONYSÁG ÉS ESZTÉTIKA PRÉSKERÁMIÁVAL
A CAD/CAM elterjedése ellenére az analóg eljárások nem szűntek meg funkcionálni. Esetbemutatásunk demonstrálja, hogyan rehabilitáltunk sikeresen az esztétikus zónában jól bevált munkamenettel, de új préskerámia recepttel. Az eredmény: természetes transzlucencia, opaleszcencia, fluoreszcencia – és egy boldog páciens.

A kiindulási helyzet recessziókkal és szabálytalan éli lefutással.

A viaszmintázat lehetővé tette a morfológia megjelenítését és a vitát a tervről.

A viaszmintázat vesztibuláris kiterjedése palatinális nézetből.
„Nem mondhatom, hogy jobb lesz, ha másképp lesz; de annyit mondhatok, másképp kell lennie, ha jobbat akarunk” – állította a kísérletező fizika egyik úttörője, Georg Christoph Lichtenberg. A fogászati anyagok vonatkozásában megfordítva a mondást, ezek csak a recept és a felépítés megváltoztatásával válhatnak jobbá. A CAD/CAM olyan hype, ami fék nélkül gázolt be a laboratóriumba és a rendelőbe, és állandóan jelen lévőnek tűnik. Ennek ellenére ne feledkezzünk meg az évtizedek alatt bevált, kipróbált analóg eljárásokról se! Még most is gyakran használjuk őket, és megérdemlik, hogy folyamatosan javítsunk rajtuk. Nem minden laboratórium tud és akar a digitális expresszvonatra felugrani. Az új eljárások, minden innovációs erejük mellett még mindig gyakran rendelkeznek kísérleti karakterisztikával. A préskerámia technológia például olyan kipróbált, gazdaságos eljárás, amely alkalmas teljes kerámiarestaurációk hatékony elkészítésére. Ami persze nem jelenti automatikusan, hogy a préskerámiát nem lehet jobban csinálni.
A préskerámia újra feltalálva
Néhány dolgot az idők során megszoktak a fogtechnikusok: a préskerámia néha nem ömlik meg a vékony részeken, ezért viaszból túlmintázzuk azokat, majd óvatosan redukáljuk a kerámiatestet. Erős reakciós réteg kialakulása miatt – a beágyazó anyaggal kapcsolatban – a kibontás néha keserves, a kerámiafelület durva, porőz. A restaurációk gyakran szürkék, élettelenek. A VITA AMBRIA (VITA Zahnfabrik, Bad Säckingen, Németország) új receptje cirkónium-dioxid erősítésű lítium-diszilikátból új fejlődési fázisba helyezi a préskerámia anyagot, mert lehetővé teszi a fogászati anyag technológiailag minden szempontból jobb kihasználását. A bemutatásra kerülő esetben VITA AMBRIA hatékonyságát figyelhetjük meg a bevált eljárásmódozattal, esztétikus végeredménnyel.

Az intraorális mock-up lehetővé tette a kezelési cél közös megbeszélését

A kilenc héj és a korona preparációja enyhén kerekített vállal.


A restaurációkat hajszálvékonyan építettük fel viaszból, majd felcsapoztuk (bal oldali kép).
Ahogy a viaszmintázat, a kész préstestek is vékonyak (jobb oldali kép).


A vékony széleket sem kellett túlmintázni… (bal oldali kép).
…mégis tökéletesen megjöttek préselés során (jobb oldali kép).
A ki- és feldolgozott VITA AMBRIA vázak.

A VITA AMBRIA vázak precíz széli zárása palatinális nézetből.

A vázak első mosóégetés után VITA LUMEX AC leplezőkerámiával.

A héjak állapota a záró, ENAMEL LIGHT-tal történő égetés előtt.

A kész restaurációk kidolgozva és fényégetve VITA AKZENT Plus GLAZE LT-vel.




Az esztétikus zóna a teljes adhezív ragasztás után abszolút természetes hatású.
Végül a páciens mégis a diasztéma teljes zárását kérte.
A kilenc héj és a 23-as korona palatinális nézetből.
Hatékony munkamenetben réteggazdag ellátás készül.


A felső rekonstrukciók harmonizáltak az alsó metszőkkel.
A pácienseset
Ötvenéves hölgy elégedetlen volt felső frontfogai esztétikai megjelenésével. Ezért elment a rendelőbe. Klinikailag veszti bulárisan két nagy kompozittömés volt megfigyelhető, széli elszíneződéssel. Az élek lefutása egyenetlen, aszimmetrikus volt. A frontfogakon recessziók és a nyakak szabaddá válása volt megfigyelhető. A hölgy a fogív gyors restauratív nivellá lását kívánta. A nagymetszők közötti diasztémát csökkente ni kellett, de nem zárni, hogy megmaradhasson az optimális hossz-szélesség arány. A recessziók kötőszöveti fedését mű téttel kizárta. Viaszmintázat és intraorális mock-up segítsé gével szimuláltuk a teljes kerámiahéjakat, illetve segítettük a minimálinvazív preparációt a zománc területén. A páciens világos színű restaurációt akart. Vázanyagként a felső frontok területén a VITA AMBRIA anyagot terveztük használni, hogy a héjak életteli, színhelyes alapot kapjanak, egyidejűleg elér ve az igen magas, 500 MPa-os szilárdságot. Az egyéniesítés megvalósítását VITA LUMEX AC leucit-erősítésű üvegkerá miával terveztük, hogy kevés, szín- és formastabil égetéssel reprodukálhassuk a fogakat. A 23-as szemfogat – palatináli san megfigyelhető defektusa miatt – egyedüliként teljes ko ronával terveztük rehabilitálni, ugyanezzel az anyagkombi nációval. A bukkális folyosó feltöltése érdekében a premolári sokra is héjak kerültek. Ezek természetes fluoreszcenciájának, transzlucenciájának és opaleszcenciájának eléréséhez mono lit VITA AMBRIA munkákat készítettünk, felszíni festéssel.
Hajszálvékony viaszmintázat
Helyi érzéstelenítést követően preparálták a fogakat, enyhe kerekített vállal és ferdített éli kifutással a mock-up alapján. A preparálás konzekvensen kiterjedt a recessziós területekre is, ezek restauratív lefedése érdekében. Az 11, 21 és 22 fogakon gömb-gyémánttal vertikális behelyezőhornyot alakítottak ki. A lenyomatok alapján készült mester- és antagonista mintát beartikuláltuk a regisztrátum segítségével, és elkezdtük a la borban a tíz munkadarab megmintázását. Már a viaszmintá zatok cervikális részén is nagyon gracilisan dolgoztunk, hogy morfológiailag is megfelelhessünk a minimálinvazív beavat kozás kihívásainak. A hat front- és négy monolitvázat ha gyományos eljárással csapoztuk és beágyaztuk. A beágyazó megkeményedését követően előmelegítettük a beágyazást, majd VITA VACUMAT 6000MP kályhában A1 színű VITA AMB RIA HT anyagból préseltük le a munkát.
Biztos és gyors kibontás
A lehűlési fázis után kibontás következett, előszőr körkörö sen a préscsatorna körül levágtuk a beágyazót szeparálóval. A durva kibontást 50 mikronos aluoxidos lefújással 4 bar nyomáson végeztük. A finomlefúvást ugyanezzel a szerrel, 2 bar-on, tompaszögben végeztük. Ezzel az alig észrevehető reakciós réteget is eltávolítottuk. A gracilis széli területek is robusztusnak bizonyultak, nem sérültek. Végül nyomás nélkül, vízhűtéssel, vékony szeparálóval levágtuk a csapokat. Az óvatos és finom kidolgozás gyémántokkal történt.

biztonságot hozott. Az optikai összhatás és összjáték a VITA LUMEX AC leplezőkerámiával hatékonyan segítette a páciensre jellemző finomságok megjelenítését. A hölgy nagyon elégedett volt új mosolyával.
A megváltoztatott recepttel a préskerámia még jobb lett.
Forrás: Das Dental Labor 2022/9
Indirekt pulpasapkázás
Indirekt pulpasapkázás esetén minimális invazív, szelektív szuvasodás eltávolítást végezzen, a szuvasodással érintett dentin megtartásával a pulpa fölött
Mély szuvasodás ellátása

(1) A nemzetközi fogorvosok szakértői testületéből származó eljárás (Állásfoglalás. 2023. szeptember).
(2) A kiterjedt II. osztály proximális falfelépítést igényel. (Mount GJ, Hume WR. Egy új üregosztályozás. Australian Dental Journal. 1998;43(3):153-9)
(3) Lehetséges technika a koronális restaurációval összefüggésben.
Közvetlen pulpa sapkázás (vitális fog)
Első ülés
1
2
3
4
5
6
7
8
9
A pulpa vitalitásának megállapítása
Izolálja a fogat kofferdám lepedővel
A szuvas foganyag eltávolítása
Hiányzó fal(ak) esetén helyezze fel a matricát a fogra
Csillapítsa a vérzést kompresszióval (1-6% NaOCl)
Aktiválja a Biodentine™ XP kapszulát , használja a Biodentine™ Mixert.
A Biodentine pisztolyt helyezze a kavitás aljába, és lassan fecskendezze be a Biodentine™ XP-t, miközben a pisztolyt visszahúzza (Bio-Bulk Fill) (3)
Ügyeljen a széli záródásra, minimális okkluzális formázás/nyomást gyakoroljon a megkötő Biodentine-re
Vegye ki a Biodentine-t az okklúziós érintkezésekből
Direkt pulpasapkázás (vitális fog)
A második kezelés
minimum 2 hét után és maximum 6 hónappal az 1. kezelés után.
1
2
3
4
5
Vizsgálja meg a pulpa vitalitását
A megfelelő mértékben (átlagosan 2 mm) vegyen el a Biodentine-ből
Vigyen fel adhezivet: totál etch vagy önsavazó módon a Biodentine-re és a fogra
Kompozit tömőanyaggal lássa el a fogat
A páciens visszahívása és követése az aktuális szakmai irányelveknek megfelelően
Ha a vérzés 5 percen belül nem csillapodik, további pulpaszövetet kell eltávolítani (részleges vagy teljes pulpotómia).
Ha a páciens utánkövetése nem kivitelezhető, akkor az eljárást 1 ülésben végezze el.
1
2
3
4
Hagyjon 2 mm helyet, várjon legalább 12 percet a kötés elkezdődésére
Vigyen fel önsvazó adhezívet (szelektív savazással vagy önsavazással) a Biodentine-re és a fogszövetre
Kompozit tömőanyaggal lássa el a fogat
A páciens visszahívása és követése az aktuális szakmai ajánlásoknak megfelelően
ERŐS FOGAK ÉS EGÉSZSÉGES
SZÁJ – MEGGYŐZŐ MOSOLY
A száj és a fogak nemcsak a táplálkozás és az emberi kommunikáció fontos részei, de esztétikai szempontból is jelentős szerepük van. Az egészséges fogak és fogíny egészségünk meghatározó elemei, a hibátlan, derűs mosoly pedig minden egyén kívánsága.

Nem csak a fogak fájnak
Az íny leggyakoribb gyulladásos megbetegedése a gingvitis vagy fogínygyulladás, mely legtöbbször a rossz szájhigiénia következményeként jön létre. A begyulladt és vérző fogíny a rossz lehelet mellett a betegség első jele. A gingvitist tehát gyógyítani kell, mert különben a gyulladás előrehaladott állapotában a gyulladt íny gócként szerepel, mely gócbetegségeket okozhat.
Az egészséges ember szájában folyamatosan jelen vannak mikroorganizmusok, amelyek szaporodása az íny gyulladásához vezet, és idővel a fogágy többi része is érintett lesz, paradontitis jelentkezhet. A tasakok mélyebbek lesznek, ezért a gyulladás ráterjed a mélyebb paradontális szövetekre is. A fogágygyulladás következtében a fogakat rögzítő szövetek elbomlanak, a betegség pedig átterjedhet az állkapocs csontszövetére is. Ennek együttes következménye, hogy a fog tartószerkezete meggyengül, elbomlik, így a fogak meglazulnak, majd kihullanak.
A hialuronsav a fogágy kötő- szövetének fontos kompo- nense
A hialuronsav a szervezet természetes anyaga és az egészséges fogíny fontos komponense. Alkalmazása a fogászatban: – csökkenti a szájnyálkahártya-irritációt
– megvéd a fertőzésektől
– felgyorsítja a sebgyógyulást és szövetregenerációt
– csökkenti a fogínyvérzést, a foggyulladást és a duzzanatot
A kutatások kimutatják, hogy a hialuronsav fogászati alkalmazása jelentős mértékben hozzájárul az ínybetegségek megakadályozásában és gyógyításában.
Ínybetegségek megelőzése és gyógyítása
hialuronsavval
A gyógyszertárakban és speciális üzletekben különböző formákban és kiszerelésben már 3 éve kapható a Gengigel, ami az egyedüli hialuronsav-alapú készítmény.
A termékcsalád használata egyszerű, gyermekek, terhes nők és cukorbetegek egyaránt használhatják. A hialuronsav tartalma miatt hatékony megoldás az alábbiakra:
– ínyvérzés
– gingivitis (fogínygyulladás)
– parodontitis (fogágybetegség)
– megsértett íny (sebészeti beavatkozás, foghúzás, fogpótlás után)
– korona, híd, fogprotézisek miatt irritált szájnyálkahártya
Ezen tulajdonságai alapján bátran állíthatjuk, hogy a Gengigel az egészséges fogíny receptje. (X)
Forrás: Medis sajtóanyag

Hialuronsav
Az egészséges fogíny receptje Az egészséges fogíny receptje
Az egész csalàd számára





gél/szájöblögető oldat/szájspray/baby gél

nagyi protézis által irritált íny, fogágygyulladás
anyu ínyvérzés és afták





csillapítja a vérzést elősegíti a sebgyógyulást a szájüregben elősegíti a szövetregenerációt csökkenti a duzzanatokat védi a szájnyálkahártyát a fertőzésektől

jani sérült íny
misike a fogzás időszakában








Dent-East Kft. 1112 Budapest, Rétkerülő út 51 www.dent-east.com • mail@dent-east.com





A-dec 500 a PRÉMIUM






PRIMA AUTOKLÁV Új olasz fejlesztés megbízhatóság, egyszeru ” kezelés, letisztult dizájn

1077 Bp., Rózsa utca 29. www.modent.hu, info@modent.hu





BUILD YOUR DREAM LOUPE

1135 Budapest, Frangepán u. 66/B. +36 1 236 4000 | info@newyorkdental.hu www.newyorkdental.hu
hogy ne ragadjon a műszere a kompozithoz!

Dr. Volom Dental 1067 Budapest Podmaniczky u. 39. Tel.: +36 1 311 65 84 www.drvolomdental.hu








opron, Faller Jenő u .:+36 99/508-698 ax: +36 99/508-696 .hu








Fogászati kereskedelem
• AMPRI: színes e.h. eszközök;
• Anger: matricák, ideiglenes koronák, fényvezető ék;
• ASA: műszerek, egyszer használatos eszközök;
• BISCO: cementek, bondok, kerámiajavító;
• FKG: endodonciai eszközök;
• DTS: színes műanyag lenyomatkanalak;
• NEOLIX: gépi gyökérkezelő tűk;
• OLIDENT: tömőanyagok, sav, bond;
• ORO CLEAN: fertőtlenítőszerek;
• PROMEDICA: cementek, tömőanyagok, alábélelők;
• SCORPION: scaler végződések, implant tisztításhoz is;
• SHOFU: cementek, tömőanyagok, csiszolók;
• SS White: koronafelvágó, karbid- és gyémántfúrók;
• TIDI: védőmaszkok;
• WHITEWASH: fogkrém, fogkefe;
• ZHERMACK: A- és C-szilikon, alginát lenyomatanyagok.
Közvetlenül az importőrtől:
HERBODENT Kft.
✉ 1025 Bp., Szépvölgyi út 52. % 325-7129 %/fax 325-7220, mobil: 30/203-6957, 30/241-5737 e-mail: herbodent@herbodent.hu, www.herbodent.hu

Loupes and lights