

ESZTÉTIKA
FOGÁSZAT
„Annyit szeretnék elérni, hogy lehetőségeimhez képest minden esetből kihozzam a maximumot…”
Esztétikai célú fogászati rehabilitáció digitális munkamenettel történő megtervezése és kivitelezése
Teljes szájüregi rehabilitáció egy parafunkciók következtében erősen abradálódott fogazat helyreállításának lépései
Árral szemben
AZ ALPHA IMPLANT KFT. MÁR 15 ÉVE AZ ÖN MEGBÍZHATÓ PARTNERE
A minőség a siker garanciája




alphaimplant.hu
Tisztelt Olvasó!
2024-re a fogászati szektor – reményeink szerint – fel tudta dolgozni a Covid-19 okozta nehézségeket, az elszabaduló inflációt, és már tervezi az idei év fejlődési lehetőségeit. Mindannyian abban bízunk, hogy megérkeznek az európai uniós források, újra indulnak a pályázatok, és stabilan tudjuk vezetni a vállalkozásinkat!
A tavalyi év sokunk életében hozott különböző nehézségeket, mégis elmondhatjuk, hogy mindenképp jobb volt, mind a 2020-2022 közötti időszak, amikor a létbizonytalanság, a járványtól való félelem uralta a napjainkat. Az idegenforgalom tavaly szépen megindult, 2024-ben a vendégéjszakák száma várhatólag el éri a 2019-es év adatait. A nagy rendelők már teljes kapacitással üzemelnek, a fogtechnikai laborokban is visszatért a folyamatosság, a fogászati kereskedők jelentős része pedig jobb évet zárt 2023-ban, mint a korábbi években.
A fogászati rendelők és fogtechnikai laborok az elmúlt években főleg a fejlesztéseket állították előtérbe, amelyhez számos pályázat és egyéb forrás is kedvező konstrukciókat kínált. 2024-ben – tudomásunk szerint – is lesznek új pályázati források, melyekről a kereskedelmi vállalatok részletesebb információkat tudnak majd adni. Az új források bevezetése idén már bizonyosan ismét növekedési spirálba helyezi majd ezt a szektort!
Az infláció elérte a fogászati ágazatot is, a vállalkozások az euro változásától, gyengülésétől függően azzal találkoznak, hogy az árak – a mindennapi élet mellett – itt is jelentősen és folyamatos változnak, emelkednek. A fogászati rendelők is kénytelenek az áraikat emelni, egyre több rendelő, ún. „piaci alapú” árképzést vezet be. A folyamat kimenetelét még nem lehet pontosan látni, a munkaerő fluktuációja, az Európai Unió áraihoz képest alacsony magyar fogászati beavatkozások értéke - jelenleg még nem érte el a drágulás csúcspontját. Az elmúlt időszakban számos újság, cikk foglalkozott a fogászati szektorban található extra drágulási folyamattal. Ez egyelőre - a hazai rendelőkben - még nem mutatott jelentős problémát, új hívószavakkal, sok marketing munkával, reklámmal most a magyar lakosságot kell határozottabban a rendelőkbe invitálni!
A kiadó bizakodva tekint a jövőbe, a megújult tartalmaink kapcsán sok pozitív visszajelzést kapunk,

melyeket nagyon köszönünk! Az elmúlt években - a nehézségek ellenére is - növelni tudtuk a kiadványaink, a magazinjaink számát, nem csökkentve azok tartalmi minőségét. 2020 óta a tematikus e-Journalok is folyamatosan megjelennek, melyek egyfajta online könyvtárként is szolgálnak az olvasóinknak. A dental. hu oldalon díjmentesen elérhetőek a korábbi tematikus online lapszámaink is.
A mostani kiadványunkban az általános fogorvosi eljárások mellett az esztétika témakörével foglalkozunk. Tartalmas olvasást kívánok!
Laczkó Tamás, felelős kiadó
E-Journal VII. évfolyam, 2024. 6. szám
Kiadja: DP Hungary Kft. 1012 Budapest, Kuny Domokos u. 9.
Felelős kiadó: Laczkó Tamás
Főszerkesztő: Dr. Riba Magdolna
Előkészítés:
DP Hungary Kft., Sárközi András e-mail: grafika@dental.hu
Információ, hirdetésfelvétel: Bárdos Veronika, telefon: 06-30-472-0030, 06-1-793-1874
Az újság e-mail címe: info@dental.hu
Az újság internetcíme: www.dental.hu
Terjesztés: E-mail hírlevél formájában.
A tudományos közleményeket a szerkesztőség lektoroknak adja át véleményezésre. Közlés csak egyetértő lektori vélemény, illetve a javasolt módosítások elvégzését követően lehetséges.
A cikkek szerzői vállalják, hogy az általuk elküldött írás saját forrásból származik, illetve a felhasznált anyagokat (publikációkat, illusztrációkat, képeket stb.) mindenkor pontosan feltüntetik. Írásaiknak jogi és egyéb adatvédelmi kérdéseiben felelősséget vállalnak.
A német nyelvű szakmai cikkeink magyar fordítását az Oemus Media AG Kiadó engedélyével szerkesztettük lapunkba.
A fel nem használt kéziratokat, fotókat nem őrizzük meg, és nem küldjük vissza.
A hirdetések tartalmáért nem vállalunk felelősséget. A gyártó, illetve forgalmazó cégek kérésére közzétett cikkeket keretbe foglalva közöljük és (x)-szel jelöljük, azok szakmai tartalmáért a szerkesztőbizottság nem vállal felelősséget.


„Fontosnak tartom, hogy a gyógyító embernek legyen szakmai és erkölcsietikai értékrendje…”
„Annyit szeretnék elérni, hogy lehetőségeimhez képest minden esetből kihozzam a maximumot…” PORTRÉ























SZAT






ESETISMERTETÉS


fogászat iránt érdeklődő kollégák tájékoztatása a legújabb eredményekről…”






„A digitális tudomány legmagasabb szintjének Magyarországra történő irányításában sok lehetőséget látok…”



Vezérelt implantológia teljes házon belüli digitális folyamattal

ESETISMERTETÉS Komplex esetek multidiszciplináris megközelítéssel
történő ellátása

















Laczkó Tamás
„ANNYIT SZERETNÉK ELÉRNI, HOGY LEHETŐSÉGEIMHEZ KÉPEST MINDEN ESETBŐL
KIHOZZAM A MAXIMUMOT…”
Dr. Baktai Zoltánnal beszélgettünk életéről, munkájáról és céljairól
Dr. Baktai Zoltán 2008-ban végzett a Kolozsvári Orvostudományi és Gyógyszerészeti Egyetem fogorvosi szakán. Hosszú éveken át különböző települések körzeti fogorvosa, majd 2019-től a Békéscsabán működő Baktai Dental Stúdió alapító tulajdonosa. Hazai és külföldi szakmai konferenciák, továbbképzések kedvelt és gyakori előadója.

Kedves Zoli! Beszélgetésünk elején először a családodról, a gyermekkorodról és iskoláidról kérdezlek. Gyulán születtem, szüleim pedagógusok, édesapám földrajz–testnevelés, édesanyám pedig román nyelv–testnevelés szakos tanár. Édesapám ugyan néhány év tanítás után otthagyta a pályát, és zöldségtermesztéssel kezdett foglalkozni. Szüleim már gyermekkorom óta a munka szeretetére és megbecsülésére tanítottak. Az általános iskoláimat és a gimnáziumot Gyulán végeztem a Nicolae Balcescu Román Tanítási Nyelvű Általános Iskola és Gimnáziumban. A sikeres érettségi vizsga után egyetemre – magyar állami ösztöndíjasként – Kolozsvárra kerültem, ahol 2008-ban az Orvostudományi és Gyógyszerészeti Egyetem fogorvosi szakán végeztem.
Hogyan alakult az életutad a fogorvosi diplomával a kezedben?
A diploma megszerzését követően a lakóhelyemtől egy 60 km-re lévő kis településen, a Csongrád megyei Pitvaros község Önkormányzatának tulajdonában lévő körzeti fogorvosi rendelőben kezdtem el dolgozni. A körzet 4 települést fedett le (Nagyér, Pitvaros, Ambrózfalva, Csanádalberti), és miután ezek a vármegye határának a közelében voltak – így a nagyobb városoktól eléggé távol –, az ottani munka megtanított arra, hogy amennyire csak lehet, ott helyben kell azokkal az eszközökkel megoldani az eseteket, amelyek a rendelkezésemre álltak. Az első néhány hónapban Ianosné dr. Gurzó Mária segítségével, majd később már egyedül láttam el a 3500 fős körzetet. Mai napig nagyon hálás vagyok neki, mert rengeteget tanulhattam tőle, önzetlen segítségével, munkájának szeretetével szinte „megfertőzött”, és már a legelső naptól kezdve arra sarkallt, hogy egyre jobb, eredményesebb legyek mint gyógyító fogorvos. Együtt jártunk el nagyon sok hazai továbbképzésre, majd később olyan külföldi képzésekre is, amelyeket megengedhettünk magunknak. A munkám iránti tiszteletet és elhivatottságot tőle tanultam, mely azóta is töretlenül ösztönöz és kitart a hétköznapok során.
Hány évet töltöttél Pitvaroson, majd hol folytattad a gyógyító tevékenységed?
2 éven keresztül ingáztam Pitvaros és lakóhelyem, Gyula között, majd 2010 novemberében Békéscsabára kerültem, ahol az 5. számú városi fogorvosi körzetet vehettem át, de úgy, hogy közben Pitvaroson is tovább dolgoztam. Ez rendkívül sok utazással, ingázással járt, ezért ezt a feladatot később leadtam, de egy közelebbi településen, Méhkeréken ismét elvállaltam a körzeti fogászati ellátást, ahol több éven át sikeresen gyógyítottam az arra rászoruló pácienseket is.
Szakmai ismereteidet az említetteken túl miként tudtad folyamatosan bővíteni?
Századunk tízes éveire tehető szerintem, hogy a Facebookon is elindult egy ún. „fogorvosi vonal”, ahol számtalan újdonsággal, lehetőséggel lehetett találkozni. Rengeteg segítséget kaptam sok külföldi kolléga high-end minőségű, precíz munkájának megismerése alapján, és ezek a mindennapi inspirációk gyökeresen megváltoztatták szakmai irányultságomat. Azt fontosnak tartom megjegyezni, hogy manapság is kissé fenntartással kell kezelni a külhoni eseteket, és a mai napig úgy gondolom, hogy a vizuálisan megtekintett, lépésről lépésre bemutatott esetek a legtanulságosabbak és legjobban felhasználhatóbbak a napi munkánk során. Óriási mennyiségű tippet, trükköt lehetett/lehet felfedezni ezeken a fórumokon, és az már csak „hab a tortán”, ha mindezeket alátámasztják alapos kutatások is.
Időközben folyamatosan jártam a hazai továbbképzésekre, így megismerkedhettem a magyar fogorvoslás néhány „oszlopos tagjával”, példaként Volom Andrást, Grosz Jánost, Forster Andrást, Mócz Andrást, Benyőcs Gergelyt és Kovács Tamást említeném, akikkel közösen osztoztunk a munkánk, a hivatásunk adta „passzióban”, és az eltelt néhány év alatt mondhatom, hogy ez a kapcsolat barátsággá alakult. Sokat köszönhetek nekik, folyamatos érdeklődésük a szakma újdonságai iránt szinte „fényként világította be” a hazai fogorvosi továbbképzéseket, mindig a legújabb technikák, eszközök, módszerek stb. után kutattak, és ezeket remekül be is mutatták, vagy jól követhető, értékes előadásaikkal bővítet-
ték a tudásunkat és az ismereteinket. Szakmai életemre természetesen a már megnevezetteken kívül még a fogorvoslás sok, szintén kimagasló szakembere is jelentős hatással volt, Bodrogi Attilát és Gerlóczy Pált (a felsorolás természetesen közel sem teljes) még külön is szeretném kiemelni, illetve néhány ismert és elismert külföldi szakembertől (megemlítem elsősorban A. Putignano, J. Manauta, G. Marchetti, N. Bichacho, S. Bottachiari előadásait), valamint tapasztaltabb, idősebb kollégáimtól is rendkívül sokat tanultam.
Jól tudom, hogy egy esetleírással különleges elismerésben és díjazásban is részesültél?
2017-ben sikerült megnyernem egy nemzetközi fogorvosi Facebook csoportban (RIPE – „Restorative Implant Practice Excellence”) kihirdetett #directtoripe versenyt. Egy kislány esetével neveztem ide be, akinek balesetben letört a metszőfoga, és ezt restauráltam direkt eljárással, kompozit rétegzéssel. A díjat 2017 szeptemberében vehettem át az említett csoport által rendezett nemzetközi szimpóziumon, melyet Dubrovnikban rendeztek meg. Mondhatom, nagyszerű érzés volt! Hétköznapi volt az eset, és feltehetően a lépések pontos dokumentálása és tanulságos kimenetele tetszhetett meg a zsűrinek.
A többéves gyakorlat birtokában mikor vállaltad először, hogy a megszerzett tapasztalataid átadod, továbbítod a kollégáidnak?
2018 őszén barátaim unszolására tartottam meg életem első előadását, egy nagyszerű eseményen, Balatonon, a Magyar


Honvédség üdülőjében szervezett konferencián. Leírhatatlan érzés volt a felkészülés időszaka is, de főleg az előadás utáni dicséretek fogadása. Azóta sok előadást tartottam/tartok, de már akkor és azóta is úgy igyekszem mondandómat szemléltetni, hogy minél hétköznapibb, „megfoghatóbb” legyen az, amiről beszélek, és ez feltehetően tetszik a hallgatóságnak. Sok olyan előadáson voltam már, ahol különböző grafikonokkal akarják meggyőzni a hallgatóságot, amelyek ugyan hasznosak, és bizonyító erővel hatnak egy „evidence based” fogászatot művelő orvos számára, de a napi gyógyító munka során – nagy valószínűséggel – a fogorvos kolléga nem ezekre az információkra fog gondolni. Szeretem úgy „tálalni” az ismereteimet, és olyan információkat, tanácsokat adni, amelyekkel a következő munkanapon már gazdagabbak lehetnek a kollégák, „profibbnak” érezhetik magukat, és ebből a pácienseik is profitálnak.
Említetted, hogy gyakran tartottál/tartasz előadásokat itthon és külföldön egyaránt. A közelmúltban hol és milyen témában hallgathattak a témáid iránt érdeklődő szakemberek?
A GCEEO Hungary égisze alatt van egy jelenleg is folyamatban lévő elméleti és hands-on tréningünk, ahol a folyékony kompozit injektálásának technikáját tanítom. Idén már csak egyszer Győrben, szeptember 29-én találkozunk, de jövőre több alkalommal folytatódik ez a továbbképzés.
Ebben az évben két független előadásom is volt, az egyik az újonnan „felélesztett” Upgrade Congress-en, ahonnan nagyon pozitív visszajelzéseket kaptam, majd a Magyar Esztétikai és Restauratív Társaság idei kongresszusán is nagy sikert aratott az előadásom.
Jelenleg hol végzel és elsősorban mely szakterületen fogorvosi munkát?
2019-ben megszabadulva a kötöttségeimtől, átadtam a békéscsabai körzetemet, kiléptem az állam által biztosított szorításból, és azóta csakis magánrendelést folytatok. Új rendelőmben minden munkafolyamatra a megfelelő időkaput próbálom biztosítani, nyugodtabb a légkör, kevesebb a stressz, és úgy gondolom, hogy a munkatársaim is elégedettek.
Elsősorban az esztétikai fogászat iránya érdekel, fő profilom a konzerváló fogászat, amely az endodoncia és protetika közös mezsgyéjéből tevődik össze. Magamra inkább úgy tekintenék, mint egy hétköznapi fogorvosra, és csak annyit szeretnék elérni, hogy lehetőségeimhez képest minden esetből kihozzam a maximumot. Szerintem ez a kulcs!
A hétköznapok teendői és a családi élet összhangját miként tudod megoldani?
Számomra az egyik legnehezebb dolog a mindennapok egyensúlyának a megteremtése. Nagyon nehéz kiegyenlíteni a családra szánt időt a rendelőben és a szakmával eltöltött idővel úgy, hogy az ember mindenhol helytálljon, és ezen felül legyen egy kis ideje még arra is, hogy egészséges maradjon, esetleg sportoljon valamit. Nem könnyű feladat „kilogisztikázni”, hogy mikor melyik terület rovására „lopjunk” el időt. Figyelni kell arra, hogy a mérleg nyelve egy kicsit mindig a család felé mutasson, mert a gyermekeim felnőnek, és én szeretnék minél több, tartalmas időt eltölteni velük addig, amíg még erre leginkább szükségük lehet, mert ezek az évek gyorsan elrepülnek! Nem egyszerű, folyamatosan megoldandó feladat ez, és közben különösen figyelek arra, hogy a szakmai sikeresség ne a család rovására menjen! Jó lenne időbeosztásomat majd úgy alakítani, hogy a sportolást is be tudjam „tuszkolni” a nap 24 órájába.
Milyen útravalót hoztál otthonról, és ebből elsősorban mit szeretnél továbbadni?
Említettem korábban, hogy szüleim már gyermekkoromban a munka szeretetére, megbecsülésére és a tisztességes életvitelre tanítottak. Nyaranta rengeteget kellett a húgommal együtt segítenünk pl. a fóliasátorban, olyankor, amikor mások, a barátaink nyaraltak, vagy „lazábban” töltötték a nyári szünet napjait.
Az előttem álló példák alapján mindig nagyon fontosnak tartottam/tartom a munka iránti alázatot és a becsületes hozzáállást!
Úgy gondolom, hogy a fogorvosi pályám „felfelé ívelését” ez a szemlélet vitte előre, és az még egy különleges plusz számomra, hogy közben sok, elégedett páciensemmel is megismerkedhettem.
Véleményem szerint a kitartó és lelkiismeretesen végzett munkámnak is köszönhetem azokat a gyakori felkéréseket, hogy hazai és külföldi szakmai fórumokon tartsak előadásokat.
Végezetül megismétlem a korábban már elhangzott gondolatom, szeretném, ha továbbra is a munkám iránti tisztelet és elhivatottság még nagyon sokáig jellemezné, illetve ösztönözné a hétköznapjaimat!
Köszönöm, hogy vállaltad ezt a sok információt adó beszélgetést. Kívánom, hogy a munkád során minél több esetből sikerüljön „kihozni a maximumot”!











24 XXIV. Dental World
Nemzetközi Fogászati Kiállítás és Kongresszus 2024. október 10–12., Hungexpo
Találkozzunk Európa fogászati eseményén Budapesten „
Dental World Kongresszusok
3 napos
konferenciák:
ESZTÉTIKA • ENDODONTIA
ORTHODONTIA • IMPLANTOLÓGIA
KEDVEZMÉNYES ÁRAK HATÁRIDEJE
KONGRESSZUSI JEGYÁRAK
1 VÁLASZTOTT
KONGRESSZUS: esztétika / implantológia / endodontia / orthodontia
ALL ACCESS 4 fő kongresszusra és a Digitális kongresszusra is belépést biztosít
Digitális Fogászat Kongresszus: 30 000 Ft (teljes ár: 50 000 Ft)
Praxismenedzsment Kongresszus: 30 000 Ft (teljes ár: 50 000 Ft)
Fiatalok Fiataloknak Kongresszus: 30 000 Ft (teljes ár: 45 000 Ft)
Prevenciós Kongresszus: 22 400 Ft (teljes ár: 28 000 Ft)
24 Esztétika Kongresszus
2024. október 10-12.
CSÜTÖRTÖK
Dr. Volom András, Dr. Gombos Ádám:
Megnyitó
PÉNTEK
Dr. Volom András, Dr. Gombos Ádám: Megnyitó

Dr. Michael Melkers: A restaurációk és a jó hírnév megőrzése –tervezés és okklúzió a mindennapi gyakorlatban

Dr. Ivan Raychev: Modern stratégiák a fogkopás additív rehabilitációjában

Dr. Jarett Hulse: Injection moulding és mátrixolási stratégiák a direkt anterior kompozitokhoz

Dr. Federico Ferraris: Direkt és indirekt anterior restaurációk –klinikai protokollok

Dr. Igor Ristic: Minimálinvazív kezelések a modern fogászatban –a „no prep” - től a „teljes száj” ellátásokig

Dr. Louis Hardan: Digitális restauratív fogászat: a kutatástól a gyakorlati alkalmazásig –a „StyleItaliano” módszer

Dr. Margarida Henrique: Esztétikus mosoly tervezése –út a sikeres kezeléshez
SZOMBAT

Dr. Volom András, Dr. Gombos Ádám: Megnyitó Dr. Riccardo Ammannato: Kopott fogazat? Direkt és indirekt adhezív restaurációs megközelítés

Dr. Alina Ruzanova: Komplex esetek tervezése

Dr. Grosz János: Etika vagy esztétika, avagy „ki mint vet, úgy arat”?! – hogyan kerüljük el a kudarcokat kerámia héjak készítése során?

Dr. Pawel Paszkiewicz: Csapatmunka és tervezés a digitális implantátum-protetikában
Indirekt pulpasapkázás
Indirekt pulpasapkázás esetén minimális invazív, szelektív szuvasodás eltávolítást végezzen, a szuvasodással érintett dentin megtartásával a pulpa fölött
Mély szuvasodás ellátása

(1) A nemzetközi fogorvosok szakértői testületéből származó eljárás (Állásfoglalás. 2023. szeptember).
(2) A kiterjedt II. osztály proximális falfelépítést igényel. (Mount GJ, Hume WR. Egy új üregosztályozás. Australian Dental Journal. 1998;43(3):153-9)
(3) Lehetséges technika a koronális restaurációval összefüggésben.
Közvetlen pulpa sapkázás (vitális fog)
Első ülés
1
2
3
4
5
6
7
8
9
A pulpa vitalitásának megállapítása
Izolálja a fogat kofferdám lepedővel
A szuvas foganyag eltávolítása
Hiányzó fal(ak) esetén helyezze fel a matricát a fogra
Csillapítsa a vérzést kompresszióval (1-6% NaOCl)
Aktiválja a Biodentine™ XP kapszulát , használja a Biodentine™ Mixert.
A Biodentine pisztolyt helyezze a kavitás aljába, és lassan fecskendezze be a Biodentine™ XP-t, miközben a pisztolyt visszahúzza (Bio-Bulk Fill) (3)
Ügyeljen a széli záródásra, minimális okkluzális formázás/nyomást gyakoroljon a megkötő Biodentine-re
Vegye ki a Biodentine-t az okklúziós érintkezésekből
Direkt pulpasapkázás (vitális fog)
A második kezelés
minimum 2 hét után és maximum 6 hónappal az 1. kezelés után.
1
2
3
4
5
Vizsgálja meg a pulpa vitalitását
A megfelelő mértékben (átlagosan 2 mm) vegyen el a Biodentine-ből
Vigyen fel adhezivet: totál etch vagy önsavazó módon a Biodentine-re és a fogra
Kompozit tömőanyaggal lássa el a fogat
A páciens visszahívása és követése az aktuális szakmai irányelveknek megfelelően
Ha a vérzés 5 percen belül nem csillapodik, további pulpaszövetet kell eltávolítani (részleges vagy teljes pulpotómia).
Ha a páciens utánkövetése nem kivitelezhető, akkor az eljárást 1 ülésben végezze el.
1
2
3
4
Hagyjon 2 mm helyet, várjon legalább 12 percet a kötés elkezdődésére
Vigyen fel önsvazó adhezívet (szelektív savazással vagy önsavazással) a Biodentine-re és a fogszövetre
Kompozit tömőanyaggal lássa el a fogat
A páciens visszahívása és követése az aktuális szakmai ajánlásoknak megfelelően
Dr. Shayan Assadi (Németország)
ARCESZTÉTIKA ÁLTAL VEZÉRELT MOSOLYTERVEZÉS
– LEHETŐSÉGEK ÉS HATÁROK
A frontrégióban lévő esztétikai problémák miatt jelentkező páciensek ellátása során gyakran jelentős kihívásokkal szembesülünk. De melyek azok a jól kiszámítható végeredménnyel járó minimálinvazív lehetőségek, amelyek ilyenkor rendelkezésünkre állnak? Mint minden egyes kezelés megkezdése előtt, ezekben az esetekben is csak a diagnosztikai szempontból fontos kérdések megválaszolása után kezdhetünk neki a tényleges betegellátásnak. Csak így biztosíthatjuk a kezelés sikeres elvégzését és érhetünk el a pácienseink számára megfelelő végeredményeket. Napjainkban a már jól ismert analóg technológiák mellett számtalan digitális lehetőség is rendelkezésünkre áll, amelyek lehetővé teszik a pontosabb diagnózis felállítását és az elérni kívánt végeredmény még élethűbb megjelenítését. Az egyik ilyen digitális lehetőség a Smile Design (mosolytervezés; CEREC, Dentsply Sirona). Az alábbi esetbemutatás révén szeretném ismertetni, hogy ezzel a módszerrel milyen lehetőségeink vannak a frontrégió esztétikai ellátására. Milyen előnyökkel jár a módszer alkalmazása és hol húzódnak az eljárás határai.



1. a–e ábrák: Intra- és extraorális fotóstátusz.
Bizonyos esetekben a páciensek nem fogszabályzó kezelés révén szeretnék a frontrégióban lévő esztétikai problémáikat rendezni. Más esetekben a kívánt esztétikai eredmény elérését a páciensek már meglévő restaurátumai akadályozzák (pl.: implantátumok, hidak), így feltétlenül szükség van további protetikai kezelések elvégzésére. A páciensek manapság nagyon nagy elvárásokat támasztanak a fogorvosokkal szemben az esztétikai célú fogászati kezelések esetén. Nemcsak minimálinvazív, de legalábbis konzervatív


szemléletű kezeléseket várnak, hanem hosszú távon stabil esztétikai és funkcionális eredményeket akarnak elérni.
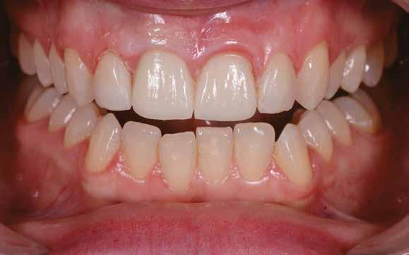
Anamnézis
A hölgy páciens a frontrégió esztétikai megjelenésének javítása céljából kereste fel a rendelőnket. Elégedetlen volt a szabálytalan elhelyezkedésű felső frontfogai (13–23) meg-



jelenésével. A kezelési lehetőségeinket az alábbi tényezők befolyásolták:
• Meglévő hídpótlások 17–14 és 25–27 fogak között,
• Implantátumokon rögzülő híd 37–35 fogaknak megfelelően,
• Az alsó frontfogaknál megfigyelhető torlódás,
• A felső oldalsó metszőfogak (12, 22) már endodonciai kezelésben részesültek, amely növeli a fogszabályzó kezelés rizikóját,
• A páciens nem szeretett volna fogszabályzó kezelésben részesülni.
A fenti felsorolás figyelembevételével csupán protetikai módszerekkel történő helyreállításra volt lehetőség. Azonban ebben a helyzetben két fontos kérdés merült fel. Mely fogakat kell további protetikai ellátásban részesíteni? Milyen típusú restaurátumokat lenne ebben a helyzetben célszerű készíteni? (teljes borító koronák? részleges koronák? héjak?)
A fotóstátusz kiértékelését követően a következőket állapítottuk meg (2. ábra):
• egyenetlen, diszharmonikus mosolyvonal;
• a felső középvonal 1,5 mm-rel jobbra tolódott;
• 12 és 22 fogak az endodonciai kezelés miatt elszíneződtek;
• 12, 11, 21, 22 fogakban nem megfelelő tömések találhatóak, valamint a hosszuk és formájuk is eltérő;

ábra: A tervezett fogpótlások vizualizációja.

4. ábra: A tervezett fogak szélességének és hosszúságának CEREC szoftverben történő beállítása.

5. ábra: A bal felső második kismetszőfogról készült Biocopy felvetítése.
• 11 és 21 fogak tengelye balra dől;
• diszharmonikus vörös-fehér egyensúly: mosolygás során baloldalt több látszik a páciens ínyéből;
• kismértékű ínymosoly;
• eltérő nagyságú bukkális folyosó;
• fekete háromszögek 14-13-12-11-21-22-23 fogak között.
Mosolytervezés
Az ehhez hasonló esetekben a kezelések megkezdése előtt feltétlenül szükség van a mosolytervezés elvégzésére és csupán az elérni kívánt végeredmény vizualizációját követően célszerű a kezelési tervet véglegesíteni. A készülő fogpótlások típusát az új restaurátumok fogakhoz és archoz viszonyított helyzete alapján határozzuk meg (arcesztétika
2. a–c ábra: A fotóstátusz kiértékelése.
3.

6. ábra: A középvonal-eltolódás korrekciója.


7. a–b ábra: A felső középső metszőfogak tengelyállásának korrekciója.
által vezérelt tervezés). Ugyanakkor az esztétikai megjelenésen kívül ugyanakkora fontossággal bírnak a funkcionális szempontok (okklúzió, hangképzés). A mosolytervezéshez a Smile Design szoftvert használtuk (CEREC 5.2.4; Dentsply Sirona). Mint más digitális mosolytervező programok esetében a program itt is egy frontális irányból készült arcfotó feltöltését követően bizonyos anatómiai pontok jelölését kérte (szemzug, szájzug, pupilla, arcközépvonal stb.). Erre azért van szükség, hogy az alsó és felső fogívről készült szkent a fotó alá tudja rendezni. Miután ez automatikusan megtörtént, még lehetőségünk van apróbb manuális korrekciók elvégzésére, hogy az esetleges apróbb eltéréseket korrigáljuk.
Diszharmonikus mosolyvonal
A mosolyvonalban látható diszharmóniát a felső oldalsó metszőfogak hosszában és szélességében megfigyelhető különbség okozza. A harmonikus megjelenés helyreállítása érdekében a program az alábbi lehetőségeket ajánlja:
- A tervezett fogpótlást rá lehet vetíteni a páciensről frontális irányból készített felvételre és ott lehetőségünk van a fogak megjelenésére vonatkozó paraméterek pontos beállítására (pozíció, hossz, szélesség stb.) (3. ábra).
- Az egyforma szélesség beállítása érdekében egy milliméter beosztású négyzetrácsos hálót lehet a fotóra vetíteni és ez alapján a 12 és 22 fogak szélességét beállítani (4. ábra).
- A felső oldalsó metszőfogak optimális hosszának meghatározása érdekében célszerű az előbbiekben említett fogak preparálás előtti állapotáról másolatot készíteni és azt rávetíteni a mosolytervezés során beállított állapotra (5. ábra).
Felső középvonal eltérése
A középvonal-eltolódások funkcionális szempontból megfelelő protetikai korrekciója csak egy bizonyos mértékig kivitelezhető. Mivel a páciens nem rendelkezett funkcionális eltérésekkel és a lehető legkonzervatívabb kezelést akartuk alkalmazni, ezért azt a döntést hoztuk, hogy csupán a legszükségesebb mértékben változtatjuk meg a jelenlegi funkcionális állapotot. A 13, 11, 21, 23 fogak ellátására részleges borítókoronák/héjak készítése mellett döntöttünk, míg 12 és 22 fogakat teljes koronákkal kívántuk borítani. A CEREC szoftverben lévő lehetőségeknek hála az okklúzió rögzítése során a szemfog és frontfog vezetést is rögzítettük. A folyamat során az érintkezési felületeket okklúziós fólia segítségével megfestettük és a szkennelés során „Biocopy"-ként lementettük. Az új fogpótlások készítése során a digitális mintára ezeket rávetítettük, hogy a tervezéskor a kontaktfelszínek az átadásra kerülő pótlásokon is kialakításra kerüljenek.
Az alkalmazott technikának és a fogméretek megváltoztatásának köszönhetően lehetőségünk volt a felső középvonalat optikailag 1 mm-rel jobbra eltolni (6. ábra).
A fennmaradó megközelítőleg 0,5 mm-es középvonal-eltérés esztétikai szempontból nem jelentős és nem is feltűnő. Annak érdekében, hogy az új fogméretek esztétikusak és szimmetrikusak legyenek a hossz és a szélesség a szoftveren belül lemérésre került és a négyzetrácsos háló segítségével pedig a pozíciójuk lett harmonizálva.
Balra dőlő középső metszőfogak
A tervezett fogpótlások frontális irányból készült fotóra vetítése során lehetőségünk van a fogak tengelyállásának korrekciójára, és az általunk kívánt állásba való rendezésére (7. ábra).
Diszharmonikus vörös-fehér esztétika és kismértékű ínymosoly
A vörös-fehér esztétika korrekcióját nem lehet a mosolytervező programon belül megtervezni, azonban lehetőségünk van az így kinyert adatokat más tervezőprogramba tovább küldeni és ott egy, az ínykorrekcióhoz használható sebészi sablont létrehozni (pl.: gingivectomiához).
Azonban ezen eset ellátása során erre nem került sor, mivel a fotók kiértékelésekor megállapítottuk, hogy csupán az 12-es fognál van szükség egy megközelítőleg 0,5 mm-es kiterjedésű gingivectomia végzésére, amelyet szabad kézzel is könnyen végre lehet hajtani. Ezen kismértékű korrekció elvégzését követően a vörös-fehér esztétika harmóniája helyreállítható (8. ábra).
Eltérő nagyságú bukkális folyosó
A fotók kiértékelése során megállapítható, hogy a bukkális folyosók méretében aszimmetria figyelhető meg. Ez a megfigyelés elegendő volt ahhoz, hogy a páciens elfogadja, hogy az 17–14 és 24–27 hídpótlások cseréjével tovább javítható az esztétikai eredmény. Ezen pótlások cseréjét is a funkcionális és esztétikai szempontok figyelembevételével végeztük, azonban mivel ennek a munkafolyamatnak az ismertetése jelentős mértékben meghaladná ezen cikk kereteit, ezért most külön nem térünk ki rá. Csupán annyit említenénk meg, hogy ezt a folyamatot is a CEREC programban lévő lehetőségek kihasználása mellett végeztük.
A felső frontfogak között lévő fekete háromszögek
A fekete háromszögek megszüntetését a fogméretek kismértékű megnövelése révén tudjuk elérni. Ezen folyamat során is a frontális irányból készült fotóra vetített protetikai tervet használtuk (9. ábra). A korrekciók elvégzéséhez számtalan hasznos funkció érhető el a CEREC szoftveren belül, ám ezek ismertetése szintén meghaladná jelen cikk kereteit.
A mosolyterv további optimalizálása
Gyakran kifogásolják, hogy a monolitikus restaurátumok nem rendelkeznek elegendő egyéni karakterisztikával. Erre az észrevételre is kész megoldással rendelkezik a CEREC szoftver. Már évek óta rendkívül széles körű fogkönyvtár áll rendelkezésre a progra-

8. ábra: Az ínymagasság vizsgálata.
mon belül, amelyből szabadon lehet különböző méretű és formájú fogakat válogatni (10. ábra). A fogak természetes megjelenését és további individualizálását megfelelő cirkonblokkok kiválasztásával biztosíthatjuk. A multilayer cirkonblokkokban többféle esztétikai tulajdonsággal rendelkező réteg található (pl. opaker–dentin–zománc), amely marását követően még élethűbb pótlásokat tudunk készíteni. Természetesen ilyenkor nagyon sokat számít, hogy a megfelelő rétegből megfelelő mennyiséget távolítsunk el. A pótlások blokkon belüli optimális pozicionálásán múlik sokszor egyegy munka sikere vagy sikertelensége.
Mock-up elkészítése
Az előbbiekben részletezett korrekciókat vagy az első találkozás során a pácienssel közösen tudjuk megtervezni, vagy elő tudjuk készíteni és a második ülésben már csak a kész eredményt prezentáljuk. Ha az elérni kívánt eredményről mock-upot akarunk készíteni, akkor arra szintén lehetőségünk van akár az első, akár a második ülés során. A rendelői CEREC rendszerek lehetőséget biztosítanak a mock-upok azonnali elkészítésére. Azt, hogy a kezeléstervezés, kezelési terv prezentálás és


...és ami mögötte van biztos megoldás a fogászati szakma elérésére

mock-up elkészítés egy vagy két ülésben történik, tulajdonképpen csak attól függ, hogy mennyi idő van kihagyva a páciensre, illetve hogy a rendelő milyen munkamenetet preferál.
Végleges fogpótlás elkészítése
A mock-up (mint hosszú távú ideiglenes pótlás) átadását követően nagyjából 6–8 hét kihordási idő következik, amely alatt a páciens ezeket folyamatosan viseli. Ekkor a pótlásokat Biocopyként beszkenneljük és a végleges pótlásokat ez alapján készítjük el. Az időközben kialakult kopási fazettákat, apróbb sérüléseket vagy egyéb változtatásokat ilyenkor mindig figyelembe vesszük és a végleges pótlások formáját ezek alapján optimalizáljuk. Ilyenkor ugyancsak figyelembe vesszük a páciens fogszín, fogforma, fogmérettel kapcsolatos kéréseit. Ha ezeket a változtatásokat a szájüregen belül elvégezzük és megfelelőnek találjuk, akkor ezt az állapotot szkenneljük viszsza Biocopyként. A végleges fogpótlások elkészítésének menete szintén meghaladná ezen cikk terjedelmi korlátait, ezért most nem térünk ki rá külön. A végleges pótlások elkészítését és készrevitelét követően az adott anyagra vonatkozó gyártói utasításnak megfelelően végezzük a beragasztását.
Ami hiányzik…
A cikk szerzője által fontosnak ítélt más mosolytervező programban elérhető, de a CEREC szoftverből hiányzó funkciók a következők: több irányból készült képek, vagy komplett fotóstátusz feltöltése (pl.: profilfotó, retraktorral készült képek stb.); CBCT-felvételek feltöltése; az ajakvonal lefutásának meghatározása.
Az esztétikai terv vizualizációja során előnyt jelentene, ha a páciens számára bemutatott felvételeken a megtervezett fogak nem sárgás/zöldes színnel jelennének meg.
Megbeszélés
A cikkben eddig leírtakat áttekintve megállapíthatjuk, hogy a CEREC 5.2.4 szoftver számos megoldási lehetőséget kínál a frontrégió esztétikai célú helyreállítására. Ugyanakkor egyértelműen előnyt jelentene, ha további fotókat is fel lehetne tölteni ebbe a programba. Azonban ilyenkor joggal kérdezhetnénk, hogy feltétlenül szükség lenne erre a funkcióra? Ennek a megválaszolására meg kell vizsgálnunk, milyen

indikációja lehet ezeknek a kiegészítő felvételeknek. Amenynyiben a meglévő fogászati problémák a páciens arcprofiljára is hatással vannak, úgy ritkán találkozunk olyan esetekkel, amikor ennek a megoldását tisztán protetikai módszerekkel el tudnánk érni. Tehát ezekben az arcprofil megváltoztatását igénylő esetekben ugyan hasznos lenne az oldalirányú felvételek jelenléte, de ezek nem feltétlenül szükségesek a helyzet megoldásához. A 12 óra irányából készült felvételek használata, amely néhány mosolytervező program szerint elengedhetetlenek a megfelelő tervezéshez, is megkerülhető a mock-up szájba illesztésével. Ha pedig a mock-up-ot mi is és a páciens is megfelelőnek találta, akkor a Biocopyként történő visszaszkennelésével a végleges pótlás kialakításában rejlő hibák lehetőségét minimalizáljuk.
A CBCT-felvételek mosolytervező programba történő integrálása sok esetben nagyon hasznos lehet. Például, ha az implantátumok optimális pozícióját akarjuk meghatározni. Azonban ha a tervezést a Galileos Software (Dentsply Sirona) használatával kombináljuk, akkor ez is megoldható. Ugyanakkor az sem elhanyagolható, hogy ilyenkor két különböző programot használunk a tervezéshez, amely az ilyenkor jelentkező költségekre, és a tervezéshez szükséges időtartam hosszára is hatással van. Összességében hasznos lenne a CBCT-felvételek feltöltésének lehetősége, de azt nem mondhatjuk, hogy erre a funkcióra mindenképpen szükség van.
Racionálisnak tűnik a komplex esetek első találkozás során a rendelőben történő azonnali megtervezése és bemutatása? Valószínűleg nem… Ugyan hasznos funkció a páciens számára történő azonnali vizualizáció, de ez sem elengedhetetlen a kezelés elfogadásához. Az ajakvonal lefutásának digitális terven való meghatározása szintén praktikus lenne, amely a CEREC program használat során néhány lépést megspórolna számunkra (pl.: a hosszú távú ideiglenes pótlás átadását követő szájüregi korrekciója és visszaszkennelése), de ez sem egy olyan funkció, amelynek a hiánya a kezelés sikerességét veszélyeztetné.
Ha egy kezelés során a mock-up–hosszú távú ideiglenes pótlás–végleges fogpótlás sorrendet követjük, akkor minimális esély van a kezeléstervezés hiányosságaiból fakadó hibák megjelenésére. Összefoglalásként elmondható, hogy megfelelő tervezéssel a komplex ellátást igénylő esetek ellátása is lehetséges a Smile Design program segítségével. Azonban ennek feltétele, hogy mindig tisztában legyünk azzal, hogy mit milyen indikációból akarunk megvalósítani és a kezeléstervezés ne esetleges, hanem célirányos legyen.
Forrás: Cosmetic Dentistry; 2023/2 16-20
9. ábra: A fogformák optimalizálása.
10. ábra: Az incizális él vizsgálata.








Dr. Borsó Dóra
A SZÉK MELLETT: IRÁNYÍTOTT BIOFILM TERÁPIA
Emlékszem arra a pillanatra, amikor legelőször „szembejött velem” ez a kifejezés valamelyik rendelő honlapján. Bevallom, az első gondolatom az volt, hogy megint valamilyen marketingtrükkel találkoztam, és csak simán átnevezték erre a depurálást, és ez a legújabb szakmai átverés. Fogorvosként természetesen az ember nem engedheti meg magának, hogy érzése, első benyomása alapján ítélje meg egy új terápiás eljárás esetleges sikerességét, így első gondolatom ezzel a lendülettel félre is tettem, és már „pötyögtem” is a keresőbe az „irányított biofilm terápia” kifejezést. Nem telt el néhány hét, és már én magam ültem egy fogorvosi székben, hogy páciensszemmel is megtapasztaljam, igaz-e az a sok jó, amit az interneten erről az eljárásról írnak.
A különböző szaktudományok, így a fogászat ismeretanyaga az elmúlt században lassabb ütemben változott, illetve bővült alapvetően, ma már szinte állandó, folyamatos átalakulásról, új eljárásokról beszélhetünk. 2023-ra már annyi inger éri a lelkiismeretesen praktizáló fogorvost, hogy néha elég eligazodni a rendelkezésünkre álló rengeteg innovatív eszköz és fogászati trend forgatagában. E cikk célja egy gyakorlatorientált, segítő kéz nyújtása a rendelőtulajdonosok és a gyakorló fogorvosok számára, hogy eldöntsék, szeretnének-e csatlakozni a GBT-t alkalmazók világába.
Mi is az irányított
biofilm terápia, avagy GBT (guided biofilm therapy)?
A GBT a biofilm professzionális kezelésének új megközelítése, a fogkőeltávolítás legkorszerűbb módja. A kezelés menete és a használt eszközök is különböznek a hagyományos eljárásnál megszokottaktól. Míg eddig először depurálással kezdtünk ultrahangos vagy kézi depurátorral, majd polírpasztával és/vagy Airflow homokfúvással folytattuk, addig itt Airflow kezeléssel kezdünk, majd piezo-fejjel depurálunk, és utána újra Airflow kezeléssel zárunk. A legnagyobb újítást az eritrit és klórhexidin tartalmú por fizikai tulajdonságaiból következő 2 tényező jelenti. Egyrészt, a megtisztított fogfelszín 2000-szeres elektronmikroszkópos nagyításban sem mutat semmilyen szerkezeti változást a kezelést követően. Ez lehetővé teszi, hogy végre a restaurációk, implantátumok, brackettek környékét is maximális hatékonysággal, de mégis legkevésbé invazív módon professzionálisan plakktalanítsuk. Másrészt, a nyálkahártyához érve feloldódik, így pont a parodontopathiás pácienseknél is használható, akiknél a hagyományos Airflow szigorúan kontraindikált. Az Airflow fej 4 mm-ig, a Perioflow fej 9 mm-ig tisztít hatékonyan a sulcusban. Subgingiválisan természetesen csak ak-


kor tisztíthatunk, ha előtte maradéktalanul eltávolításra került a supragingivális biofilm. Ahogy a mondás is tartja: „Nem tudod gyógyítani, amit nem látsz.” Így a 8 lépéses irányított biofilm terápia protokolljának 2. lépése az infekciókontrollt és a fogak, az íny, az implantátumok, illetve a parodontális és periimplantáris szövetek állapotfelmérését követően maga a szemléltetés. Ez egy egyszerű plakkfestést jelent, ami a nem szakmai szemnek óriási demonstrációs erővel bír, és megágyaz a páciens motiválásának. Másik funkciója a dentálhigiénikus/fogorvos munkájának támogatása, hiszen csak így lehetünk egyedül biztosak abban, hogy közel 100%-os hatékonysággal eltávolítottuk a biofilmet. Ezt követi az előzőekben tárgyalt Airflow, és szükség esetén Perioflow kezelés, majd a piezos depurálás. Végül ellenőrizzük a végeredményt, szükség esetén visszamegyünk egyes területekre, és a kockázatértékelésnek megfelelően kontroll időpontot ütemezünk.
A prospektus szerint „a kezelés a legkevésbé invazív módon, a legmagasabb szintű kényelem, biztonság és hatékonyság mellett történik”.
A nemzetközi irodalomban számtalan cikk és tudományos kutatás jelent meg az irányított biofilm terápia maximális hatékonyságát, biztonságát és a modern fogászatban lé -



Plakkfestés előtt.





vő megkérdőjelezhetetlen létjogosultságát bizonyítva. Én a mindennapi, fogászati szék melletti aspektusaira szeretnék rátérni, ezért egyetlenegy mondatot emelnék ki: „Amíg a hagyományos parodontológiai kezelések során a sejtregenerációra képes sejtek 65%-a marad meg a kezelés után (hiszen akarva-akaratlanul is távolítunk el a nem fertőzött cementrétegből a tőlünk elvárható legnagyobb gondosság mellett is), addig az irányított biofilm terápia esetén ez a szám 94%.” Azt hiszem, a számok önmagukért beszélnek!
A fent leírtakat mennyire
támasztják alá, hogy a páciensek a kezelések során érzékelik-e az ún. „legmagasabb szintű” kényelmet?
A hagyományos professzionális szájhigiénés kezeléstől eltérően GBT esetén meleg vizet ad a gép, melynek hőmérsékletét szabályozni lehet. A por íze sokkal finomabb, mint a hagyományos homokfúvásnál megszokott sós íz, és mivel egyből feloldódik, nincs „teli száj érzet”. A kezelés nagyobb részét az Airflow/Perioflow eljárás jelenti, amely sokkal kellemesebb érzet és hanghatás, mint a hagyományos depurátor/Gracey. A páciensek ezt többször úgy fogalmazták meg, hogy: „végre nincs kapirgálás!” A depurátor fejet egy olyan speciális piezo-fej váltotta fel, amely folyamatosan pásztáz-

za a felszínt, és saját magát szabályozza. Fogfelszín esetén kisebb intenzitással, fogkőhöz érve nagyobb intenzitással végzi a dolgát.
Eddigi tapasztalataim és a kezelések utáni közvetlen viszszajelzések alapján mondhatom, hogy a páciensek általánosságban szeretik ezt az eljárást. Elméletben minden adott ahhoz, hogy ez így is legyen, a gyakorlat, illetve az elején még pont annak a hiánya, felülírhat azonban mindent!
Melyek azok a kényelmet jelentősen rontó tényezők, amelyekre érdemes odafigyelni, hiszen az egész „páciensélményt” lerombolhatják?
1. Túl erős exhaustor
Az elején nagyon lelkesen mondtuk, hogy mennyivel kellemesebb érzés, mint a hagyományos eljárás. Aztán belefutottunk abba, hogy hiába jön meleg víz a rendszerből, ha túl erős fokozatra van állítva az exhaustor, a páciens ugyanúgy a hideget érzi, mint a sima depurálásnál. A tanulság, hogy az exhaustor alapfokozaton álljon, vagy ha a rendszer nem állítható, kivételes esetekben marad az egyszerű nyálszívó. A protokoll része természetesen az exhaustoros elszívás, viszont tudnunk kell, mikor szükséges megszegni a szabályokat. Lehet, hogy egy páciens hősiesen végigsziszegi a kezelést, de előfordulhat, hogy utána évekig nem
Plakkfestés után.
GBT után.
(Dr. Borsó Dóra, Dr. Veress Fogorvosi Stúdió fotói)
jön vissza. Ha erős fájdalmat nem, csak kellemetlenséget érez, az sem jobb, hiszen akkor egyszerűen nem tartottuk be ígéretünket. Ebből következik a második pontunk:
2. Hiperszenzitivitás
Sokan azért mellőzik a rendszeres fogkőeltávolítást, mert hiperszenzitivitás miatt szinte elviselhetetlen számukra a beavatkozás, akkora fájdalommal jár. Míg néhány helyen olvasható, hogy érzéstelenítés nélkül teljesen fájdalommentes a kezelés, ezt így általánosságban nem jelenthetjük ki. A fogérzékenységben szenvedő pácienseket néha ugyanúgy szükséges érzésteleníteni, mint hagyományos eljárás előtt.
3. OptraGate
A protokoll része a labium és bucca retrakciója, hiszen enélkül a plakkfestés után a szájüregi nyálkahártya jelentős része lila lenne, aminek egyáltalán nem örülnének a pácienseink. Ez a hagyományos szájterpesznél puhább, latexmentes, egyedi flexibilitású alternatíva egy kényelmesebb viselést ígér, és segíti a kezelés közben a száj nyitvatartását. Lényegesen megkönnyíti a kezelőorvos/dentálhigiénikus munkáját, hiszen nagyobb láthatóságot és hozzáférést biztosít.


Bár van recessus kialakítva az alsó és felső frenulumok számára, bizonyos idő elteltével ezen a tájékon a páciensek mégis fájdalmat érzékelhetnek. Érdemes a legelején tájékoztatni őket erről és kérni, hogy amint ezt tapasztalják, jelezzék. Ilyenkor jön segítségünkre az emberi kreativitás, és nagy segítséget jelenthet egy teljesen hagyományos orvosi vatta. Benedvesítést és félbehajtást követően a képen látható módon az OptraGate alá helyezem, mely általában jelentősen enyhíti diszkomfortjukat. Ha ez sem elegendő, marad a hagyományos szájterpesz, amely nem érinti az érzékennyé vált területeket.
4. A nyál nem megfelelő kezelése Mi már megszoktuk, hogy a fogászati kezelések fokozott nyáltermeléssel járnak, pácienseinknek azonban ez sokszor zavarba ejtő tényező. Minden beavatkozásnál szükséges erre odafigyelni, de az OptraGate ki-behelyezésekor ez fokozottan igaz. Mindig szigorúan, papírral a kezünkben tá-
Irodalomjegyzék
1. A Novel Biofilm Removal Approach (Guided Biofilm Therapy) Utilizing Erythritol Air-Polishing And Ultrasonic Piezo Instrumentation: A Randomized Controlled Trial Vouros I, Antonoglou Gn, Anoixiadou S, Kalfas S - Int J Dent Hygiene. 2021;00:1-10
2. Inactivation Of Sars-Cov-2 Through Treatment With The Mouth Rinsing Solutions Viruprox®* And Bacterx® Pro. Koch-Heier J, Hoffmann H, Schindler M, Lussi A, Planz O - Microorganisms 2021 Mar 3;9(3):521.
3. Conventional Versus Comprehensive Dental Prophylaxis: Comparing The Clinical Outcomes Between Rubber Cup And Air Polishing And The Im-
volítsuk el, gondosan ügyelve arra, hogy a rajta levő, jó nagy adag nyál azonnali törlésre kerüljön. Volt olyan páciensem, akinek egy gyors mozdulata hatására a másodperc törtrésze alatt esett ki az OptraGate a szájából, így meglehetősen összenyálazva a száj környéki területeket és az állat. Egyből nyúltunk a papírért mindketten az asszisztensnőmmel. Ez a 2-3 másodpercnyi méltatlan szituáció elég volt arra, hogy a páciens elgondolkodjon, akarja-e legközelebb ezt a kezelést, vagy maradjon inkább a hagyományos eljárásnál. Elmondása szerint ez az eljárás már a tűréshatárán volt, és inkább kapjon érzéstelenítést a jövőben, pedig attól mindig félt.
5. Nem megfelelő a piezo-fej tartása
A piezo-fejjel végzett kezelés, amennyiben megfelelően végzik, elvileg fájdalommentes. Ez teljes mértékben igaz. Még a legjobb, legtöbb fokozatra állítható depurátor sem veszi fel vele a versenyt. Ahhoz viszont, hogy végig megfelelő pozícióban tartsuk, egy tanulási folyamat és a kezelés közbeni nagyobb koncentráció szükséges, mint a hagyományos depurálás esetén.
Én fogszakorvos édesanyámon próbáltam ki először, amint megérkezett a gép. Természetesen már megvolt a betanító kurzusom időpontja, de szerettem volna rögtön megmutatni, milyen csodálatos berendezéssel bővült a rendelő. A túl erős exhaustor miatt nagyon hidegnek találta, az OptraGate egy idő után nyomta, én meg, sajnos gyakorlat hiányában, a piezo-fejjel az alsó frontoknál fájdalmat okoztam. Nézett rám csalódott szemeivel, hogy ez nem egészen olyan, mint ahogyan beharangoztam.
Szerencsére, azóta már rutinosak lettünk. Nem csak édesanyám szemében váltotta le a csalódást a csillogás, hanem nap, mint nap rengeteg boldog szempár néz vissza ránk az irányított biofilm terápia után. A fogaikra kifejezetten igényesek nagyon szeretik, a fogérzékenységben szenvedők favorizálják. De olyan páciensem is akadt, akit különösebben „nem vett le a lábáról”!
Ajánlom, hogy mindenki próbálja ki legalább egyszer, lehetőséget adva saját vélemény kialakítására. Hiszen, mint sok minden, ez is egyéni preferencia függvénye.
Kedves Kollégák!
Remélem, a cikk olvasása megkímél Benneteket néhány kellemetlen szituációtól!
Azoknak, akik hozzám hasonlóan motiváltak az irányított biofilm terápia kapcsán, jó felfedezést kívánok! Minden Kollégámnak pedig boldog, elégedett pácienseket!
portance Of Plaque Disclosure Fu Jh, Wong Lb, Tong Hj, Sim Yf - Quintessence Int 2021;52:264–274
4. Plaque Disclosing Agent As A Guide For Professional Biofilm Removal: A Randomized Controlled Clinical Trial Mensi M, Scotti E, Sordillo A, Agosti R, Calza S - Int J Dent Hyg. 2020 Aug;18(3):285-294
5. Effect Of Professional Mechanical Plaque Removal On Secondary Prevention Of Periodontitis And The Complications Of Gingival And Periodontal Preventive Measures. Consensus Report Of Group 4 Of The 1th European Workshop On Periodontology On Effective Prevention Of Periodontal And
Peri-Implant Diseases Sanz M, Bäumer A, Buduneli N, Dommisch H, Farina R, Kononen E, Linden G, Meyle J, Preshaw Pm, Quirynen M, Roldan S, Sanchez N, Sculean A, Slot De, Trombelli L, West N, Winkel E - J Clin Periodontol. 2015 Apr;42 Suppl 16:S214-20
6. Efficacy Of Sonic Versus Manual Toothbrushing After Professional Mechanical Plaque Removal: A 6-Month Randomized Clinical Trial Magda Mensi, Eleonora Scotti, Annamaria Sordillo, Valentina Brognoli, Maria Paola Dominici, Stefano Calza - Int J Dent Hygiene. 2021;00:1–10.
7. Clinical Comparison Of The Stain Removal Efficacy Of Two Air Polishing Powders Hongsathavij R, Kuphasuk Y, Rattanasuwan K - Eur J Dent. 2017 Jul-Sep; 11(3): 370–375.
8. Aerosols In Dentistry: The Bacterial Contamination Of The Room Air During An Airflow® Treatment Donnet M, Bastendorf Kd, Mensi M, Lussi A - Zm Special Edition 12/20 - Page 24-26
9. A Novel Method To Measure The Powder Consumption Of Dental Airpolishing Devices Donnet M, Fournier M, Schmidlin Pr, Lussi A - Appl. Sci. 2021, 11(3), 1101
10. In Vitro Study Of Surface Changes Induced To Enamel And Cementum By Different Scaling And Polishing Techniques Arefnia B, Koller M, Wimmer G, Lussi A, Haas M - Oral Health Prev Dent 2021;19(1):85-92.
11. An In Vitro Comparison Of The Effects Of Various Air Polishing Powders On Enamel And Selected Esthetic Restorative Materials Barnes Cm, Covey D, Watanabe H, Simetich B, Schulte Jr, Chen H J Clin Dent. 2014;25(4):76-87
12. Research On Dental Plaque Removal Methods For Efficient Oral Prophylaxis: With A Focus On Air Polishing And Rubber Cup Polishing Park By, Kim M, Park J, Jeong Jh, Noh H - Int J Dent Hyg. 2020 Nov 20
13. Use Of Air Polishing For Supra- And Subgingival Biofilm Removal For Treatment Of Residual Periodontal Pockets And Supportive Periodontal Care: A Systematic Review Nascimento Gg, Leite, Frm, Pennisi Prc Et Al Clin Oral Invest 25, 779–795 (2021)
14. Retrospective Analysis Of The Long-Term Effect Of Subgingival Air Polishing In Supportive Periodontal Therapy Petersilka G, Koch R, Vomhof A, Joda T, Harks I, Arweiler N, Ehmke B J Clin Periodontol. 2021 Feb;48(2):263-271
15. Erythritol-Enriched Powder And Oral Biofilm Regrowth On Dental Implants: An In Vitro Study Amate-Fernández P, Figueiredo R, Blanc V, Àlvarez G, León R, Valmaseda-Castellón E Med Oral Patol Oral Cir Bucal. 2021 Mar 27:24622
16. Clinical Outcomes Of Using Erythritol Powder By Means Of Airpolishing With Ultrasonic Debridement In The Treatment Of Initial Periodontal Pockets In Hand Of Dental Students: A Split-Mouth, Randomized, Comparative, Controlled Study. Part I Albonni H, Alseirafi W, Tekleh H, Orabi Fa, Alhaj M, Almasri D, Hamadh H, Sawaf H, May 2021, Int J Dent Hygiene. 2021;00:1–11
17. Microbiological Dynamics Of Red Complex Bacteria Following Fullmouth Air Polishing In Periodontally Healthy Subjects—A Randomized Clinical Pilot Study Reinhardt B, Klocke A, Neering Sh, Selbach S, Peters U, Flemmig Tf, Beikler T Clin Oral Investig2019 Oct;23(10):3905-3914
18. Air Polishing In Subgingival Root Debridement During Supportive Periodontal Care: A Review Janaphan K, Hill Rg, Gillam D - J Orthod Craniofac Res,2020; 2: 113
19. The Efficacy Of Airpolishing Devices In Supportive Periodontal Therapy: A Systematic Review And Meta-Analysis Ng E, Byun R, Spahr A, Divnic-Resnik T - Quintessence Int. 2018;49(6):453-467
20. Efficacy Of The Additional Use Of Subgingival Air Polishing With Erythritol Powder In The Treatment Of Periodontitis Patients: A Randomized Controlled Clinical Trial Mensi M, Scotti E, Sordillo A, Calza S, Guarnelli Me, Fabbri C, Farina R, Trombelli L Clin Oral Investig. 2021 Feb;25(2):729-736
21. Randomized Controlled Trial Assessing Efficacy And Safety Of Glycine Powder Air Polishing In Moderate-To-Deep Periodontal Pockets Flemmig Tf, Arushanov D, Daubert D, Rothen M, Mueller G, Leroux Bg J Perio 2012 Apr;83(4):444-52
22. A Paradigm Shift In Mechanical Biofilm Management? Subgingival Air Polishing: A New Way To Improve Mechanical Biofilm Management In The Dental Practice Sculean A, Bastendorf Kd, Becker C, Bush B, Einwag J, Lanoway C, Platzer U, Schmage P, Schoeneich B, Walter C, Wennström Jl, Flemmig Tf - Quintessence Int. 2013 Jul;44(7):475-7
23. Clinical And Microbiological Effect Of Frequent Subgingival Air Polishing On Periodontal Conditions: A Split-Mouth Randomized Controlled Trial Sekino S, Ogawa T, Murakashi E, Ito H, Numabe Y - Odontology. 2020 Oct;108(4):688-696.
24. Subgingival Air-Polishing With Erythritol During Periodontal Maintenance: Randomized Clinical Trial Of Twelve Months Müller N, Moëne R, Cancela Ja, Mombelli A - J Clin Periodontol. 2014 Sep;41(9):883-9
25. Adjunctive Air-Polishing With Erythritol In Nonsurgical Periodontal Therapy: A Randomized Clinical Trial Jentsch Hfr, Flechsig C, Kette B, Eick S - Bmc Oral Health. 2020 Dec 29;20(1):364
26. One-Stage Full Mouth Instrumentation (Osfmi): Clinical Outcomes Of An Innovative Protocol For The Treatment Of Severe Periodontitis M Mensi, M Feres, S Calza, A Sordillo, E Scotti, G Garzetti J Int Acad Periodontol. 2020 Jul 1;22(3):129
27. Clinical Outcomes Following Subgingival Application Of A Novel Erythritol Powder By Means Of Air Polishing In Supportive Periodontal Therapy: A Randomized, Controlled Clinical Study Hägi Tt, Hofmänner P, Salvi Ge, Ramseier Ca, Sculean A Quintessence International 2013 NovDec;44(10):753-61
28. Erythritol Airpolishing In The Non-Surgical Treatment Of Periimplantitis: A Randomized Controlled Trial Hentenaar Dfm, De Waal Ycm, Stewart Re, Van Winkelhoff Aj, Meijer Hja, Raghoebar Gm Clin Oral Implants Res. 2021 Jul;32(7):840-852.
29. New Multiple Anti-Infective Non-Surgical Therapy In The Treatment Of Peri-Implantitis: A Case Series Mensi M, Scotti E, Calza S, Pilloni A, Grusovin Mg, Mongardini C Minerva Stomatol. 2017 Dec;66(6):255-266
30. Penetration Depths With An Ultrasonic Mini Insert Compared With A Conventional Curette In Patients With Periodontitis And In Periodontal Maintenance Barendregt Ds, Van Der Velden U, Timmerman Mf, Van Der Weijden F J Clin Periodontol. 2008 Jan;35(1):31-6
31. Subgingival Debridement Of Periodontal Pockets By Air Polishing In Comparison with ultrasonic instrumentation during maintenance Therapy Wennström Jl, Dahlén G, Ramberg P - J Clin Periodontol 2011 Sep;38(9):820-7
32. Full-Mouth Ultrasonic Debridement Versus Quadrant Scaling And Root Planing As An Initial Approach In The Treatment Of Chronic Periodontitis Wennström Jl, Tomasi C, Bertelle A, Dellasega E - J Clin Periodontol. 2005 Aug;32(8):851-9
33. Cleaning Efficacy Of Poly-Ether-Ether-Ketone Tips In Eliminating Cement Remnants Around Implants With Different Abutment Heights Koyuncuoglu Cz, Kara Hb, Akdemir S, Demir B, Al-Haj Husain N, Özcan M J Oral Implantol. 2020 Dec 1;46(6):548-554
34. Detection, Assessment, Diagnosis And Monitoring Of Caries Pitts NMonographs In Oral Science, Vol 21
35. Effects Of Fluorides: General Aspects - Fixed Orthodontic Appliances: Caries And Prophylaxis Lussi A, Attin R - Informationen Aus Orthodontie & Kieferorthopädie 2020; 52(03): 211-218
36. Patientenakzeptanz Nach Umstellung Auf Guided Biofilm Therapy - Patient Acceptance Of Guided Biofilm Therapy Furrer C, Bättig R, Votta I, Bastendorf Kd, Schmidlin Pr Swiss Dent J. 2021 Mar 8;131(3):229-234. German. Pmid: 33666383
Dr. Annika Schulz (Németország)
AMELOGENESIS IMPERFECTÁVAL DIAGNOSZTIZÁLT FOGAZAT
KOMPOZITRESTAURÁTUMOKKAL TÖRTÉNŐ ELLÁTÁSA
Egy fiatal páciens fogazatának funkcionális és esztétikai célú rehabilitációjának bemutatása
Az amelogenesis imperfecta egy genetikai kórkép, amely a fogzománc kifejlődését befolyásolja. Ezáltal a fogakat borító zománc mennyisége és minősége is megváltozik. A kórkép prevalenciáját 1:700 és 1:14 000 közé teszik. Az érintett páciensek fogazatában hypomineralizáció, hypoplasia, és hypokalcifikáció jelei mutatkozhatnak. Protetikai szempontból a kórképpel általában együttjáró vertikális harapási magasság csökkenése szokott az ellátás során gondot okozni. A fogazat megfelelő funkciójának, valamint a fogak és az arc esztétikai megjelenésének helyreállításához szükséges terápiás lépések jól meghatározott sorrendben követik egymást.

1. ábra: A panorámafelvételen jól látható az előzetes állcsontsebészeti beavatkozás, valamint 12, 38, 48 pozícióban lévő foghiány és az egyenetlenül elhelyezkedő rések.


2. a–b ábra: Az állcsontorthopédiai előkészítést követően látható klinikai helyzet. Mind az alsó, mind a felső fogívről készített okkluzális irányú felvételen jól megfigyelhetőek a kifejezett mértékű abrázióra és zománcveszteségre, valamint szuvasságra utaló klinikai jelek.

2. c. ábra: A kiindulási állapotról frontális nézetből készített felvételen egyértelműen látható a kifejezett mértékű abrázió, az elégtelen okklúzió és a jelentős mértékben süllyedt harapás. Ezenfelül a fogak sárgás-szürkés árnyalatúak.
A kezelés során legtöbbször koronák készítését helyezik előtérbe, azonban az ezek elkészítéséhez szükséges terápiás lépések általában további elkerülhetetlen foganyagveszteséget okoznak a páciens számára. Egy 42–54 hónapos követési idővel rendelkező klinikai vizsgálatban, amelyben kerámiarestaurátumok segítségével helyreállított fogazatokat vizsgáltak, azt találták, hogy a rágófelszín minősége, a színstabilitás, az anatómiai forma kialakítása és a széli zárás szempontjából ezek a pótlások előnyösebb sikerességi mutatókkal rendelkeztek. A szakirodalom áttekintését követően több cikkben is ezzel egyező eredményekről olvashatunk. A modern kompozit tömőanyagok szélesebb indikációs területtel rendelkeznek és az amelogenesis imperfecta ellátása során minimál invazív módon lehet őket a sérült fogazat helyreállítása során alkalmazni. Egy négyéves követési idővel rendelkező klinikai vizsgálatban az amelogenesis imper-


fectával (AI) érintett páciensek a Filtek Supreme Flowable kompozit tömőanyaggal készített direkt poszterior resturátumai a vizsgálat végén 92,9%-os sikerességet mutattak. A direkt restaurátumok révén gyorsabban és könnyebben elérhető magas sikerességi mutató a jelentős mértékben elszíneződött fogakkal rendelkező páciensek esetében a szín korrekciója révén közvetlen módon a páciensek önértékelésének javításához is vezethet. Ezen páciensek ellátása során a legnagyobb problémát a saját foganyag és az adhezív módon rögzülő restaurátum között kialakítandó stabil kötés létrehozása jelenti. Ismert tény, hogy az ilyen jellegű elváltozásoktól szenvedő fogak esetében gyakran nagyobb kötőerő érhető el a dentinben, mint a megváltozott tulajdonságokkal rendelkező fogzománcban. Az alábbi esetbemutatás során egy 25 éves AI-val diagnosztizált páciens direkt kompozit felépítésekkel történő ellátását ismertetjük. A direkt felépítések elkészítése előtt a harapási magasságot harapásemelő sínek segítségével emeltük közel fiziológiás mértékűre. A dentinállományhoz adhezív módon rögzülő kompozit felépítmények elkészítését követően a páciens számára további terápiás lehetőségként a teljes kerámiarestaurátumokkal történő helyreállítás opciójáról is tájékoztattuk.
Anamnézis
A 25 éves amelogenesis imperfectától szenvedő páciens a fogazatának helyreállításának céljából kereste fel klinikánkat (Universitätsklinikum des Saarlandes Klinik für Zahnärztliche Prothetik und Werkstoffkunde). A fogainak veleszületett színbeli elváltozásáról, valamint a fogak előtörését követően már egyből megfigyelhető fokozott málékonyságáról számolt be (2. a–c ábra). A Humángenetikai Intézetben amelogenesis imperfecta diagnózisát igazolták. Ez megfelelő módon igazolta a páciens emelt szintű szakellátás keretei között történő kezelésének szükségességét. A protetikai kezelés előkészítésének részeként más intézetben állcsontsebészeti beavatkozásokon ment keresztül (1. ábra). Ennek célja a meglévő fogak és a meglévő foganyag lehető legnagyobb mértékben történő megőrzésének biztosítása volt.
Kezelés
Az alsó és felső fogíven észlelhető jelentős mértékű abráziótól szenvedő páciensek esetében a harapási magasság megemelésére van szükség ahhoz, hogy esztétikai és funkcionális szempontból megfelelő pótlásokat készíthessünk

számukra. Ennek megfelelően első lépésként egy a harapási magasságot közepes mértékben megemelő alsó sínt készítettünk a páciensnek. A sín kialakítása során kiemelt figyelmet fordítottunk arra, hogy egyenletes okkluzális érintkezések jöjjenek létre az antagonista fogívvel. A sínt a páciens szinte folyamatosan hordta és rágóízületi szempontból sem okozott panaszokat számára, ennek megfelelően 3 hónapot követően a harapást további 3 mm-rel emeltük meg. Ezt is állkapocsízületi panaszok megjelenése nélkül tolerálta. Öszszesen 6 hónapon keresztül viselt harapásemelő síneket fizioterápiával kiegészítve, mindvégig panaszmentes volt, ezért a protetikai rehabilitáció megkezdése mellett döntöttünk. Ebben az időpontban a páciens készen állt arra, hogy egy új habituális okklúziós helyzetet alakítsunk ki számára. A kezelések megkezdésekor a páciensnek a jobb felső kismetsző, valamint a két alsó bölcsességfogának (12, 38, 48) kivételével az összes maradófoga látható volt a szájüregben. Ugyanakkor ezek a fogak kisebb-nagyobb mértékben abradáltak voltak (2. a–c. ábra). Mindkét fogívről kétidejű kétfázisú A-szilikon lenyomatot vettünk (Express 2PentaH, 3M és Express 2 Light Body Standard, 3M), valamint a felső állcsont rágóízülethez viszonyított pozícióját arcív segítségével rögzítettük. Az így kapott mintákat egyéni értékű artikulátorba helyeztük és így készítettük el a felviaszolást (3. a–c. ábra) A harapási magasságot a sínek segítségével beállított mértéknek megfelelően emeltük meg. A felviaszolt modellek felhasználásával mélyhúzott síneket készítettünk, amelyeket a kialakítani kívánt fogformák átviteléhez használtunk fel. Az új fogszínt a pácienssel közösen határoztuk meg, aki a meglévő szürkés-sárgás színű fogainál világosabb fogakat szeretett volna. A kis- és nagyőrlő fogakat A3, míg a frontfogakat A2 színű kompozit tömőanyaggal terveztük kiegészíteni. A cél egy harmonikus megjelenésű fogazat kialakítása volt, amely a páciens fiatal korát figyelembe véve kifejezett jelentőséggel bírt.
A kompozit felépítéseket meghatározott sorrendben készítettük el először a felső, majd az alsó fogíven. A nagyőrlőkkel kezdtük, majd a kisőrlők és végül a frontfogak következtek. A fogakat egyenként az alábbi protokollt követve építettük fel: Először az adott területet érzéstelenítettük, majd relatív izolálás mellett ínybarázda-tamponáló fonalakat helyeztünk be a felépíteni kívánt fog mellé. Ezt követően a szomszédos fogakat teflonszalag segítségével izoláltuk. A zománcot 40, a dentint pedig 20 másodpercen keresztül 37,5%-os orthofoszforsav segítségével kondicionáltuk, majd a fog felszínét levegő-víz spray alkalmazásával lemostuk (4. ábra). Az így előkészített felszínre egy bondecset segítségével felvittük a bondot (Scotchbond Universal Plus, 3M), amelyet 20 másod-
3. a–c ábra: Wax-up. A frontfogak között diasztéma látható.

4. ábra: A bal alsó első kisőrlőfog (34) kompozittal történő kiegészítését relatív izolálás mellett (vattarolni, ínybarázda-tamponálás) végeztük. A distális irányban elhelyezkedő fogak felépítését már elvégeztük. A fog felszínének előkészítésére 37,5%-os orthofoszforsavat használtunk.

5. ábra: A bal felső második kisőrlő fogat (35) teflonszalag segítségével izoláltuk az adhezív felvitele előtt.

6. ábra: A mélyhúzott fólia felhelyezése. A felesleg könynyebb eltávolítása érdekében az okklúziót nem befolyásoló felszíneken apró perforációs nyílásokat készítettünk.
percen keresztül beledörzsöltünk (5. ábra), majd 5 másodpercen keresztül levegővel fújtunk és 10 másodpercen keresztül polimerizációs lámpa segítségével megvilágítottunk. Ezután a mélyhúzott sínt az előkészített fognak megfelelően folyékony kompozittal töltöttük fel (Filtek Supreme Flowable, 3M) és a sínt pontosan a helyére illesztettük. A felesleges anyag számára a sín oldalán perforációs nyílást alakítottunk ki, amelyen a felesleg ki tudott folyni (6. ábra). A kompozitot két oldalról 20-20 másodpercen keresztül megvilágítottuk (7. ábra), majd a sín eltávolítását követően további 20 másodpercen keresztül polimerizáltuk (8. ábra). Ezt követően a kifolyó felesleget eltávolítottuk és a kompozitrestaurátum felszínét felpolíroztuk (9. ábra).
A fogak egyenként történő felépítése során minden lépés között visszaellenőriztük és szükség esetén korrigáltuk a páciens okklúzióját. Kiemelt figyelmet fordítottunk arra, hogy az okkluzális érintkezések egyenletesen alakuljanak ki mindkét oldalon a kis- és a nagyőrlőfogak rágófelszínén. A nagyőrlőfogak rágófelszínén lévő csücsköket szándékosan laposabbra alakítottuk ki, hogy az artikulációs mozgások során az alsó állcsont szinte szabadon mozoghasson. A beavatkozás napján a páciens fizioterápiás kezelésben részesült annak érdekében, hogy még gyorsabban tudjon adaptálódni a megváltozott harapási helyzethez. A frontfogak a kezelés végén kerültek felépítésre, majd a páciens kívánságainak megfelelően szabadkézzel tovább alakítottuk őket, hogy minél inkább megfeleljenek az elérni kívánt esztétikai eredménynek. Olyan egyedi anatómiai jellemzők is kialakításra kerültek, mint például a fogak között látható kisebb rések. A hiányzó jobb felső kismetszőfog pótlására a jobb felső szemfog és jobb felső nagymetszőfog között egy direkt kompozit „híd” került kialakításra.

7. ábra: A fényre kötő kompozit tömőanyagot buccalis és lingualis irányból is 20-20 másodpercen keresztül polimerizáltuk.

8. ábra: A kompozit kötését követően a sínt óvatosan eltávolítottuk, majd megkezdtük a felépítmény kidolgozását és polírozását.
Megbeszélés
A kiindulási állapotról és a direkt felépítések elkészítését követően készített képek összehasonlítása jól mutatja a terápia alkalmazásával elért drámai változásokat (10–12. ábra). Mindkét oldalon funkcionális okklúziós érintkezések kerültek kialakításra, és a páciens fogazatának esztétikai megjelenése is kifejezett mértékben javult. Az amelogenesis imperfectától szenvedő páciensek abradált fogazatának a helyreállítása interdiszciplináris megközelítést, alapos tervezést és szoros utógondozást igényel. Minden esetben szükség van a harapási magasság megnövelésére, mivel az abrá-

9. ábra: A kidolgozott felépítmény.


10. a–b ábra: A kompozit felépítmények elkészítését követően az alsó és felső fogívről okkluzális irányból készített felvétel.
zió során az állcsontok egymáshoz viszonyított vertikális pozíciója jelentős mértékben csökkent. A harapásemelés elkerülhetetlenül hatással van a páciens okklúziójára, artikulációjára, valamint a fogazat esztétikai megjelenésére. Ezeket a szempontokat feltétlenül figyelembe kell venni a harapásemelés mértékének megtervezése során. Egy, a fogmegtartást előtérbe helyező rehabilitáció során a parodontális kihívások mellett (megrövidült foggyökerek, fokozott mobilitás) az adhezív rögzíthetőség minősége is kérdéseket vet fel. A korlátozott mértékben rendelkezésre álló zománcfelszín és a régóta szabadon lévő dentinállomány jelentős mértékben kompromittálhatja az adhezív kapcsolat minőségét. Amennyiben


11. a–b ábra: Oldalirányú felvételek.

12. ábra: A frontális irányú felvételen látható, hogy a pótlások végleges megjelenését a páciens kívánságainak megfelelően módosítottuk. A felső fogív középvonalában lévő rést szinte teljesen zártuk. A jobb felső kismetsző pótlására a szomszédos fogakhoz (13, 11) rögzülő direkt kompozit hidat készítettünk. A jobb felső kismetszőt teljesen kivettük az okklúzióból.
lehetőségünk van megfelelő erősségű adhezív kötések kialakítására, úgy az abradált fogazat kompozitrestaurátumokkal történő helyreállítása vonzó terápiás lehetőségként szerepelhet. Ezzel a megoldással a funkcionális és esztétikai rehabilitáció mellett lehetőségünk van a páciensek önértékelésének a javítására. Ugyancsak előnyt jelent, hogy ha a funkcionális vagy esztétikai szempontok ezt kívánják, akkor a kompozitrestaurátumokat bármikor ki lehet egészíteni vagy módosítani. Ha a rehabilitáció megtervezése során a funkcionális szempontok mellett a páciens egyedi esztétikai kéréseit is figyelembe vesszük, akkor lehetőségünk van egy mindenki számára elfogadható végeredmény kialakítására. Az alternatív terápiás lehetőségek – kerámiapótlások, adhezív módon rögzülő hidak, vagy implantátumokon rögzülő pótlások –mérlegelése során mindig figyelembe kell venni a rendelkezésre álló foganyag mennyiségét. Ha a kezelést holisztikus szemlélettel nézzük, akkor a kompozittal történő direkt felépítést előkezelésként, vagy hosszú távú ideiglenes megoldásként tekinthetjük. A választott terápiás megoldástól függetlenül mindig ugyanazoknak a szempontoknak kell a kezelések során érvényesülniük. Az elvégzett beavatkozásoknak javítani kell a fogazat funkcióját, esztétikai megjelenését és ezáltal hozzá kell járulniuk a páciens életminőségének javulásához.
Forrás: Cosmetic Dentistry 2023/4

A digitális tervezésnek köszönhetően a teljes lépéseit és részeredményeit a páciens számára köszönhetően sikeresen le tudtuk küzdeni azt a problémát, időt igénybe vevő terápiák esetén rendszeresen
és kooperációjának

teljes kezelést 4 szakaszra tudtuk bontani és ezek számára egyértelműen kommunikálni. Ennek problémát, amivel a legtöbb kezelőorvos a hosszú rendszeresen szembesül: a páciensek motivációjának kooperációjának elvesztése.
Dr. Shayan Assadi (Németország)
ESZTÉTIKAI CÉLÚ FOGÁSZATI
REHABILITÁCIÓ DIGITÁLIS
MUNKAMENETTEL TÖRTÉNŐ
MEGTERVEZÉSE ÉS KIVITELEZÉSE
A páciensek kezelése során minden esetben törekednünk kell a minimál invazív terápiák alkalmazására. Manapság a páciensek nagy része már a beavatkozások megkezdése előtt egy hozzávetőleges képet szeretne látni az elérni kívánt végeredményről, annak érdekében, hogy ez alapján a kezelések megkezdése mellett vagy ellen döntsön. Ennek megfelelően a fogszabályzó kezelések során történő fogmozgatások digitális vizualizációja és a digitális mosolytervezés (Digital Smile Desing; DSD) már szinte az összes esztétikai fogászattal foglalkozó rendelőben elérhetővé vált.

1. ábra: A kiindulási állapotról készített extraorális felvétel.

2. ábra: Digitális mosolytervezés.

3. ábra: A kezelés befejezését követően elért állapot.
Az említett két technológia számos piaci szereplőnél megtalálható a kezelési spektrumban, azonban ezek a digitális fogászati eszközök tényleg alkalmasak arra, hogy egy kezelést a tervezéstől kezdve, a folyamatok vizualizációján keresztül, egészen az elérni kívánt végeredményig valósághűen bemutassák a pácienseknek?
Ebben a cikkben egy esetbemutatás segítségével szeretnénk megismertetni azokat a lehetőségeket, amelyeket a digitális eszközök segítségével el tudunk érni. A cikk megírása során kifejezett figyelmet szeretnénk fordítani a virtuális tervezés egyes aspektusainak bemutatására. A virtuális tervezés sok esetben alkalmas lehet arra, hogy egyértelműen megmutassa a pácienseink számára, hogy miért lehet érdemesebb egy kompromisszumos állapot elfogadása, amely minimál invazív módszerekkel és sokkal kedvezőbb költségek mellett is kivitelezhető, és hogy melyek azok az esetek, amikor nincs értelme a jelenleg meglévő esztétikai állapot megváltoztatásának. Ezenfelül további előnye, hogy a segítségével sokkal könnyebben lehet a páciensek számára a kezelések egymásra épülését és sorrendiségét demonstrálni. Ez akkor jelent előnyt, ha hosszú kezelési időre kell számítanunk és fontos, hogy a páciensek motivációját folyamatosan fenntartsuk a következő fázis megkezdéséig.
Általános anamnézis
A páciens első rendelői megjelenése során azzal a kéréssel jelentkezett, hogy az alsó és felső frontrégiójában látható (15–24 és 34–44) torlódás feloldását szeretné elérni. Ezek közül is leginkább a felső fogainak megjelenését szerette volna javítani. Elmondása szerint egyszerűen csak „szép fogakat” szeretne. Leginkább a jobb felső kis- és nagymetsző, valamint a bal felső nagymetszőfogának (12, 11, 21) megjelenése zavarta. A bal felső második kisőrlő és második nagyőrlő (25–27) között látható hidat megközelítőleg hat hónappal ezelőtt egy másik rendelőben adták át. Ennek megfelelően nem szerette volna ennek az eltávolítását és lecserélését (1–3. ábra).
Általános állapot
A páciens általános egészségügyi állapotában nem volt semmi kiemelendő. A páciens nem dohányzott, nem voltak általános megbetegedései és nem tudott allergiákról vagy érzékenységekről.
Fogászati anamnézis (4–6. ábrák)
• Nem megfelelő nemesfémmentes fémkerámia híd 25–27 fogak között.
• Elégtelen minőségű gyökértömés a bal felső második nagyőrlőben (27).
• Nem megfelelő minőségű tömések (15, 13, 11, 21, 23, 24).
• Torlódás az alsó és felső fogívben.
• Mélyharapás.
• A mélyharapás miatt kialakult elváltozások a szájzugoknak megfelelően.
• Aránytalan és aszimmetrikus bukkális háromszögek.
• A jobb felső második kisőrlőfog keresztharapási helyzetben található.
Digitális tervezés
Az első találkozó során a páciens részletes szóbeli tájékoztatást kapott a digitális tervezés révén elérhető potenciális előnyökről és elfogadta, hogy a kezelésének tervezését virtuális eszközök segítségével kezdjük meg. Arról is tájékoztattuk, hogy a beavatkozások során lehetőség szerint a digitális munkafolyamatokat fogjuk előnyben részesíteni. Ennek megfelelően több intra- és extraorális felvételt készítettünk a páciensről, valamint mindkét fogívet és a harapási helyzetet is beszkenneltük. A tervezés során kapott eredményeket és az elérni kívánt végeredményt a második találkozó során ismertettük a pácienssel. A végeredmény vizualizációjához digitális mosolytervezést alkalmaztunk, hogy be tudjuk mutatni a kiindulási állapotból a végállapotba történő átmenet egyes lépéseit.
A digitális terv bemutatása (7–11. ábra) során a páciens számára egyértelművé vált, hogy:
• kizárólag az eredetileg általa kért fogak (12, 11, 21) kezelésének elvégzése nem elegendő a kívánt végeredmény eléréséhez.
• nincs feltétlenül szükség a már meglévő 3 tagú híd (25–27) cseréjére
4. ábra: A kiindulási állapotról készített intraorális felvétel.
5. ábra: A kiindulási állapotról készített oldalirányú felvétel (jobb).
6. ábra: A kiindulási állapotról készített oldalirányú felvétel (bal).
7. ábra: A digitális mosolytervezés során készített felvétel.
8. ábra: A tervezett fogmozgatások előtt látható állapot okkluzális irányból (digitális terv).
9. ábra: A tervezett fogmozgatások elvégzését követően látható állapot okkluzális irányból (digitális terv).
10–11. ábra: A tervezett fogmozgatások előtt és után látható állapot frontális irányból (digitális terv).










12. ábra: A fogszabályzó kezelés befejezését követően készített extraorális felvétel.


• nem kell a teljes fogívet kezelni, ahhoz, hogy egy esztétikailag kedvező megjelenésű mosolyt kapjunk
• ahhoz, hogy a jobb felső kismetszőfog esztétikus megjelenését minimál invazív módszerekkel biztosítani tudjuk, feltétlenül szükség van a már meglévő felső torlódás előzetes feloldására.
Kezelés
A tervezés során tett megállapítások figyelembevételével történt a kezelési terv felállítása. A kezelési tervet 4 részre lehetett osztani:
1. Az egyéni szájhigiéné optimalizálása
A digitális tervezésnek köszönhetően egyértelművé vált, hogy a kívánt eredmény eléréséhez nincs feltétlenül szükség

az alsó állcsont fogszabályzó kezelésére. Azonban előfordulhatnak, olyan esetek is, amikor erre orvosszakmai szempontok miatt mindenképp szükség van. Megjegyeznénk, hogy ebben az esetben a jobb alsó kisőrlőfogakon lévő lengőtagos híd (44, 45, 46) jelenléte is egy kompromisszumos helyzetet eredményezett volna a fogszabályzó kezelés során. Mindent összegezve, amellett, hogy az elérni kívánt végeredményt nem befolyásolják sem anyagiak, sem a kezelési idő, nem járt volna előnyökkel az alsó fogív fogszabályzó kezelésének megkezdése.
Ugyanakkor fontos megjegyezni, hogy a fogszabályzó kezelések szempontjából az otthoni szájhigiénének kiemelt jelentősége van. Mivel a páciens szájüregében több fogászati szempontból elégtelen restaurátum volt megtalálható, azért az volt a célunk, hogy a fogszabályzó kezelés alatt ezek állapotát „konzerváljuk” és megakadályozzuk, hogy a protetikai fázis megkezdéséig további fogazati károsodások

14. ábra: Oldalirányú felvétel (jobb).
16. ábra: Oldalirányú felvétel (bal).
15. ábra: Okkluzális nézet.
17. ábra: A klinikai állapotra vetített digitális mosolyterv.
13. ábra: Frontális nézet.
kialakuljanak. Ennek megfelelően az elkövetkező 6 hétben a páciens intenzív szájhigiénés kezelésekben és oktatásban részesült, annak érdekében, hogy a szájüregét alkalmassá tegyük a fogszabályzó kezelés megkezdéséhez. A professzionális rendelői szájhigiénés kezelés mellett pontos instrukciókat kapott a szájhigiénéjének javítására és a javulást a heti kontrollok során mért plakk-index és szondázási index változásain keresztül mértük. Az erőfeszítéseinknek hála 6 hetet követően a szájhigiéné olyan mértékben javult, hogy az első aligner átadásra kerülhetett. A páciens a fogszabályzó kezelés teljes időtartama alatt szoros kontroll alatt állt annak érdekében, hogy a fogak és a rögzítő apparátus lehetséges sérüléseit megelőzzük, vagy időben helyreállítsuk. Emellett a találkozók során a szájhigiéné is ellenőrizve lett és szükség esetén dentálhigiéniai kezelésben részesült.
2. Fogszabályzó kezelés
A páciens kérésének megfelelően a fogszabályzó kezelés alignerek felhasználásával történt. A kezelési célokat az alábbiakban határoztuk meg (12–16. ábra):
• A felső fogívben látható torlódás feloldása.
• A jobb felső kismetszőfog (12) tengelyének palatinális irányba történő korrekciója.
• A jobb felső első kisőrlőfog (14) derotálása.
• A jobb felső második kisőrlőfog (15) keresztharapási helyzetének megszüntetése.
• A fogszabályzó kezelés előnyeit a digitális terven keresztül ismertettük a páciens számára:
• Amennyiben elégedett a felső fogazati torlódás feloldására irányuló fogszabályzó kezelés végeredményével, akkor lehetőség van a kezelés befejezésére, amennyiben viszont nem elégedett az így elért esztétikai megjelenéssel, akkor lehetősége van a fogazatának minimál invazív módszerekkel történő további módosítására.
• A torlódás feloldásával sokkal könnyebbé válik a megfelelő szájhigiénia fenntartása, attól függetlenül, hogy a későbbiekben ezek a fogak protetikai ellátásban részesülnek vagy sem.
• Az okklúziós helyzet normalizálásával nagymértékben csökken az esélye, hogy a páciens jelenleg meglévő fogai további károsodást szenvednek a jelenleg fennálló malokklúziós helyzet következtében. Ugyancsak csökken az esélye a rágóízület maradandó károsodásának a kialakulására.
3. Protetikai ellátás
A fogszabályzó kezelés befejezését követően egy 6 hónapos retenciós fázis következett, amely során az eddig elért eredmények stabilitását és a szájhigiéné fenntartását ellenőriztük. A páciens elégedett volt a fogszabályzó kezelés eredményével. A digitális tervezés során készített szimulációk és képek azonban arra motiválták, hogy a kezelések folytatása mellett döntsön, ezért ennek megfelelően 6 hónapot követően megkezdtük a fogak protetikai ellátását.
A fogszabályzó kezelés során elért állapot felülvizsgálatát követően megkezdtük a végleges protetikai terv felállítását. A már meglévő digitális adatok felhasználásával egy virtuális mock-up-ot hoztunk létre, amely alapján egy átvivő sablont készítettünk. Ezen sablon segítségével pedig a páciens szájüregében elkészítettük a végleges pótlás megjelenését




21. ábra: A végleges pótlások digitális terve (okkluzális nézet).
szimuláló ideiglenes felépítést. A mock-up egy rendkívül jó eszköz arra, hogy a páciensben vagy a kezelőorvosban lévő a végleges pótlás megjelenésével kapcsolatos kérdéseket megválaszolja, valamint az ezzel kapcsolatos félelmeket eloszlassa. A rendkívül részletes és alapos digitális tervezés ellenére nem javasoljuk, hogy ezt a lépést bárki is kihagyja. Ebben az esetben a mock-up szájüregi felhelyezését követően derült fény arra, hogy a páciens a felső frontfogakat (12–22) túl hosszúnak találja (17–18. ábra).
18. ábra: A szájüregbe helyezett mock-up.
19. ábra: A végleges pótlások digitális terve.
20. ábra: A végleges pótlások átadását követő állapot.

22. ábra: A végleges pótlások átadását követő állapot (okkluzális nézet).
Ezenfelül a mock-up felhelyezése után az alábbi megállapításokat tettük:
• A bal felső első kisőrlőfogat (24) teljes borítókoronával kell ellátni.
• A jobb felső első és második kisőrlőfog (14, 15) ellátásához elegendő részleges borítókorona készítése.
• A felső kismetszőfogakat (12, 22) elegendő héjakkal fedni, míg a felső nagymetszők esetében (11, 21) a héjak mellett részleges borítókoronák készítésének lehetősége is felmerül.
• A felső szemfogak ellátása (13, 23) csak koronák segítségével kivitelezhető.
• A jobb felső nagyőrlők (16, 17) és a meglévő bal felső híd (25-27) nem látszanak mosolygás és beszéd közben, ezért amennyiben más ok nem teszi szükségessé, úgy kizárólag esztétikai szempontból nem igényelnek további beavatkozásokat.
Ezen észrevételek felhasználásával történt a fogak előkészítése és a protetikai ellátásukat a digitális tervnek megfelelően végeztük. A preparált csonkokat beszkenneltük (CEREC Omnicam) és a pótlásokat e.max CAD (Ivoclar) tömbökből faragtuk ki. Ezek rögzítése adhezív technikával történt, amely részletezésébe terjedelmi korlátok miatt nem megyünk bele (19–22. ábra).
Eddigi eredmények
A teljes kezelést a kezdetektől fogva digitális munkamenet segítségével terveztük és a megvalósítása során is digitális fogászati technológiát alkalmaztunk. A páciens a kezelés teljes időtartama alatt mindvégig motivált volt, mivel mindig tisztában volt az aktuális fázis végén, valamint a teljes kezelés befejezésekor elérni kívánt végeredménnyel. A javasolt terápiás lépések és az ehhez szükséges folyamatok mögött lévő okok a kezdetektől fogva egyértelműek voltak a páciens számára, amely szintén elősegítette, hogy a páciens mindvégig együttműködő és motivált volt a kezelés során. Összefoglalásképpen elmondható, hogy a minimál inva-
zív kezelés nemcsak azt jelenti, hogy egyes fogakból csak alig, míg másokból egyáltalán nem történik anyagelvétel a protetikai előkészítés során, hanem azt is, hogy a kezelőorvos előzetesen fel tudja mérni, hogy melyek azok a fogak, amelyek egyáltalán nem igényelnek ellátást a kívánt kezelési célok megvalósításához. (Jelen esetben 17, 16, 25–27 és a teljes alsó fogív!) Az esztétikai és funkcionális analízis elvégzését követően a kezelőorvos számára rendelkezésre állnak azok az információk, amelyek alapján meg tudja ítélni, hogy szüksége van-e egyes fogak ellátásának időbeli priorizálására, vagy hátrányok nélkül későbbi időpontban is elvégezhető. A digitális eszközök alkalmazása nagymértékben meg tudja könnyíteni és le tudja egyszerűsíteni ezt a folyamatot.
4. A bal felső második nagyőrlőfog revíziója és a meglévő bal felső híd cseréje
A digitális tervezés és szimuláció révén a páciens könynyebben megértette a bal felső nagyőrlőfogban lévő gyökértömés cseréjének szükségességét. Ugyancsak a digitális eszközök nyújtotta lehetőségek révén (intraorális fotók és intraorális szken) a meglévő hídpótlásban lévő sérülést is be lehetett mutatni a páciens számára. Természetesen az eddig elvégzett kezelés részeként is lehetőség lett volna ennek a hídnak a cseréjére, azonban a páciens nem emiatt kereste fel a rendelőt és ez nem szerepelt az általa megfogalmazott kívánságok között. A javasolt terápiás lépésekről történő tájékoztatás során nemcsak ezek pontos módját kell a páciensek számára bemutatni, hanem ezek fontosságára és sürgősségére is érdemes kitérni. A tájékoztatás során közölnünk kell a pontos diagnózist és a várható prognózist. A kezelés megtervezése során figyelembe kell venni a páciens kéréseit és kívánságait. Ez az eset jól példázza, hogy a fenti szempontok figyelembevételével a páciens meglévő hídjának a cseréjét miért utolsó lépésként végeztük el. Hangsúlyoznánk, hogy a csere szükségességének ellenére a híd mindvégig stabil és panaszmentes volt. Szintén a cikk terjedelmi korlátaira való tekintettel ennek a cseréjének a bemutatásától eltekintünk.
Az eddig leírtak összefoglalásaként: A digitális tervezésnek köszönhetően a teljes kezelést 4 szakaszra tudtuk bontani és ezek lépéseit és részeredményeit a páciens számára egyértelműen kommunikálni. Ennek köszönhetően sikeresen le tudtuk küzdeni azt a problémát, amivel a legtöbb kezelőorvos a hosszú időt igénybe vevő terápiák esetén rendszeresen szembesül: a páciensek motivációjának és kooperációjának elvesztése. Ebben az esetben azonban a páciens mindvégig motivált maradt és a kezelés összes fázisában maximális kooperációs hajlamot mutatott köszönhetően a digitális technológiák alkalmazásában rejlő lehetőségeknek.
Forrás: Cosmetic Dentisty 2023/4

Dr. Fráter Márk PhD, M.Sc., dr. Sáry Tekla
BIOBLOCK-TECHNIKA
A GYÖKÉRKEZELT FOGAK
MEGERŐSÍTÉSÉRE – KUTATÁSOK, TAPASZTALATOK
ÉS LIMITÁCIÓK
A gyökérkezelt fogak megerősítése, a restaurátum-fog komplexum sikerességének és túlélésének növelése a mai napig központi kérdéskör mind a restauratív fogászatban, mind az endodonciában. Ez utóbbinak az oka abban keresendő, hogy az endodonciai kezelés nem tekinthető teljesen befejezettnek, amíg a fog végleges koronai restaurátummal nincs ellátva. Sőt, vizsgálatok arról számolnak be, hogy azon fogak, amelyek a gyökértömést követő 4-6 hónapon belül lettek véglegesen restaurálva, nagyobb sikerességet mutatnak, mint amelyek ennél csak hosszabb idő elteltével (1).
A gyökérkezelt fogak gyengüléséhez számos tényező hozzájárul, többek között: trepanálás és hozzáférési nyílás kialakítása, a dentin dehidratációja, a dentin struktúrájának átalakulása, az átöblítő-szerek erodáló hatása, az esetlegesen használt kálcium-hidroxid lágyító hatása stb. (2). A fenti okok miatt a gyökérkezelt fogak gyakrabban szenvednek el fatális kimenetelű töréseket, mint a hasonló kavitással rendelkező, de vitális fogak. Jelen tudásunk szerint ez idáig a legfontosabb gyengítő tényező a caries vagy korábbi trauma miatt kialakult koronai keményszövet veszteség, amelyet a terápiánkhoz szorosan kapcsolódó trepanálási folyamat tovább súlyosbít. Így kiemelten fontos, hogy a gyökérkezelt fogakba készülő restaurátumnak nem csak a hiányzó fogstruktúrát kell esztétikailag és funkcionálisan helyreállítani, hanem a megygyengült fogat is meg kell erősíteni, mintegy egységet alkotva a megmaradt zománccal és dentinnel. A gyökérkezelt fogak restaurálására bevett módszer volt a fogak „belső sínezése”, csapok segítségével. Ez a mai, modern esztétikai fogászati érában üvegszálas csapok segítségével történik. Ugyanakkor mind a vizsgálatok, mind saját klinikai tapasztalatunk, eddigi kudarcaink rávilágítottak arra, hogy az üvegszálas csappal való helyreállítás nem nyújt mindig ideális és időálló eredményt, valamint nem minden típusú fog esetén segít (2). A csapozás létjogosultságának eldöntésekor nem elegendő pusztán a megmaradt koronai fogmennyiséget vizsgálni, hanem figyelembe kell venni, hogy mely régióban helyezkedik el a fog, mekkora, és milyen irányú erők lépnek fel itt elsődlegesen, valamint a páciensnél várható-e extrém nagyságú erőbehatás (bruxálás, szorítás, parafunkciók stb.). Ha mindezeket figyelembe vettük, és az üvegszálas csap behelyezése mellett döntöttünk, akkor a következő problémákkal kell szembenéznünk:
1. A csap nem az eredeti állapotot állítja helyre biomechanikai szempontból, ugyanis a gyökércsatornában a fog tengelyében (ahol a csap lesz) nem lép fel terhelés ép fog esetén, helyette a gyökércsatorna falain jön létre és összpontosul a terhelés.
2. Az ovális, nem körszimmetrikus gyökércsatornában a csap nem fog megfelelően illeszkedni, vagy csak apikálisan (1. kép).
3. A kritikus cervikális területen, ahol a legtöbb stressz lép fel, a csap-ragasztócement arány nem ideális (a cement dominál), (1. kép)
4. A nagy mennyiségű ragasztócement könnyen tartalmazhat buborékokat, melyek később a cement megrepedését okozhatják.

1. kép: A hagyományos üvegszálas csappal végzett „csapozás” problémái.
5. A hagyományos üvegszálas csap nem köt össze megbízhatóan a ragasztó és/vagy csonkfelépítő anyagokkal, amely könnyen vezethet a csap megmozdulásához.
Ezek a tényezők tetten érhetőek a klinikai gyakorlatban, ugyanis az üvegszálas csapok sikertelenségének leggyakoribb formája a csap elválása a ragasztótól, továbbá a megmozdulása, vesztése. Már régóta megfogalmazódott az igény a klinikusok részéről, hogy az üvegszálas csapokat is valahogy individualizálni kellene annak érdekében, hogy jobban illeszkedjenek, és lehetőleg precízebben töltsék ki a gyökércsatornát. Ez a kívánt megerősítés elérése érdekében fontos, ugyanis így lehetőség nyílna a mechani-
kailag gyengébb elem, a ragasztó mennyiségének csökkentésére, az üvegszálak javára. Ennek legegyszerűbb és legkezdetlegesebb módja a több, hagyományos üvegszálas csap alkalmazása, bár ez nemigen minősül valós individualizálásnak. Egy másik megoldás lehet az felületkezelésen átesett üvegszálas csap individualizálása kompozittal egy glicerinnel bevont gyökércsatornában (FRC post relining method), bár itt a fő probléma, hogy a kompozit (metakrilát rezin) és a hagyományos üvegszálas csap (epoxi rezin) között szinte lehetetlen stabil kapcsolatot kialakítani. Az elasztikus üvegszálas csapok (everSTICK POST, GC) megjelenésével lehetőségünk nyílt arra, hogy chairside, több elasztikus üvegszálas csap alkalmazásával készítsünk egy részben vagy egészben individualizált üvegszálas csapot (2. kép) (3)
A technika két fő limitációja, hogy egyrészt helyigénye van, azaz csak igen destruált koronai állomány esetén lehet korrekt módon elkészíteni, valamint főleg kónikusabb gyökércsatornákban alkalmazható, de a teljesen irreguláris anatómiával nem igazán tud mit kezdeni. Az eddig felsorolt technikák közös hátránya, hogy mindnél szükség van ragasztócement alkalmazására, azaz az üvegszálak nincsenek közvetlen kapcsolatban a gyökércsatorna falával, így nem képesek stressztörő rétegként funkcionálni.
Az eddig felsorolt, az üvegszálas csapozási módszerek során tapasztalt problémák megoldására született meg a Bioblock technika. Jelen módszer során a hagyományosan üvegszálas csappal és ragasztó cementtel kitöltött gyökércsatorna szakaszt rövid üvegszálas kompozittal (everX Posterior, GC) töltjük fel. Ezt követően a koronai kavitás hiányzó dentinje is pótlásra kerül az említett anyagból, így egy individualizált rövid üvegszálas direkt csapot és csonkfelépítést alkotva (3-4. kép).
A Bioblock technika megszünteti a hagyományos „csapozási” folyamat hátrányait, gyenge pontjait, az alábbiak szerint: 1. - az üvegszálak kitöltik a rendelkezésre álló teljes teret, így maximalizált az üvegszálak mennyisége a kritikus cervikális területen is, 2. - nincs szükség ragasztó cementre, így az üvegszálak közvetlen a gyökércsatorna falára adaptálhatók, ahol az érdemi stressz generálódik terheléskor, 3. - csökken a felhasznált anyagok és ezzel a ragasztási felületek száma, ami csökkenti a restaurátumon belül fellépő stresszt. Mivel a használt rövid üvegszálas kompozit 4-5 mm mélységig biztonsággal átvilágítható (4,5), így a teljes Bioblock technika 3 horizontálisan applikált rétegből épül fel. Mélységét tekintve az üvegszálak többnyire 6 mm mélységig kerülnek a gyökércsatornába, a csatorna bemenetéhez képest. A lépések a következők:
• a guttapercha visszafúrása 6-7 mm mélységig 3-as vagy 4-es méretű Gates Glidden fúróval vagy azonos méretű csapelőfúróval;
• koronai kavitás átérdesítése;
• zománc savazása 30-45 s-ig, majd lemosása;
• gyökércsatorna tisztítása klórhexidinnel, majd szárítása (az adhezív rendszernek megfelelő mértékig);
• duál-kötésű adhezív alkalmazása mind a gyökércsatornában, mind a koronai kavitásban, az adhezív réteg elvékonyítása, majd fotopolimerizáció (5. kép);
• rövid üvegszálas kompozit applikálása a számára kialakított gyökércsatorna szakasz apikális részébe (6. kép);
• fotopolimerizálás 2-3 s-ig, majd fotopolimerizálás egy rövidebb hosszúságú hagyományos üvegszálas csapon keresztül 1,5 percig! (7. kép);
• világításra használt csap eltávolítása és 2. réteg rövid üvegszálas anyag applikálása, fotopolimerizálás (20-40 s-ig);

2. kép: Elasztikus üvegszálas csapokból készített individualizált üvegszálas csap.

3. kép: Gyökértömés utáni állapot, gingivális ládaemelésre is szükség lesz. Tág, aszimmetrikus, meggyengített gyökércsatornák láthatók.

4. kép: Gingivális ládaemeléssel és Bioblock technikával ellátott fog, „ridge-up” preparálás betéthez.
• 3. réteg applikálása, fotopolimerizálás (8. kép);
• végleges tömés elkészítése vagy preparálás indirekt restaurátumhoz.
A technika gyakorlati szempontból fontos lépése az anyag megfelelő „kondenzálása”, tömörítése a gyökércsatorna apikális részébe, melyre javasolt egy vékony száraz bondecset, egy parodontális szonda és/vagy egy endodonciai plugger alkalmazása.
A másik fontos lépés az apikális réteg megfelelő polimerizálása. Vizsgálataink arról számolnak be, hogy az itt felsorolt lépésekben elvégzett fotopolimerizáció (üvegszálas csapon keresztül) megfe-


lelő keménységet és konverziót biztosít a rövid üvegszálas kompozit számára (6-8). Ennek oka részben abban keresendő, hogy a használt rövid üvegszálas kompozit transzparens, így átengedi és szórja is a fényt, valamint a fényvezetőként használt hagyományos üvegszálas csap képes lejuttatni elegendő fényt a kritikus apikális régióba (9).
A Bioblock technika használható olyan esetekben is, amikor valamilyen oknál fogva a csapozás nem célravezető (apexifikált fogak, ahol a trepanációs nyílás akár kisebb is lehet, mint a gyökércsatorna átmérője) és/vagy a gyökércsatorna belső irregularitása jelentős (belső reszorpció) (7,10).
A Bioblock technika eddig ismert egyetlen limitje, hogy a paszta állagú rövid üvegszálas kompozit (everX Posterior) kondenzálásának hatékonysága nehezen ellenőrizhető a gyökércsatorna apikális részén, és könnyen maradhatnak alatta, vagy a rétegek között levegőzárványok. Ezek feltételezhetően a későbbiekben gyenge



pontként szerepelhetnek a restaurátumban. Az említett légzárványok jelentősebbek lehetnek a koronai csonkfelépítésben (9. kép) Erre is szolgálhat megoldásként az új, folyékony rövid üvegszálas kompozit (EverX Flow bulk shade, GC), melyet kedvező viszkozitása által célzottan lehet eljuttatni egy kavitás bármely területére, és csak ezt követően mutat (klinikusként pont ideálisnak mondható) folyást, enyhe szétterülést. Az everX Flow sokban hasonlatos a paszta típusú everX Posterior-hoz, például ugyanúgy 5 mm mélységig biztonsággal átvilágítható. Bár a flow lényegesen kisebb üvegszálas rostokat tartalmaz, mint az „elődje”, az everX Posterior, ugyanakkor lényegesen nagyobb mennyiségben tartalmazza azokat (11). Ennek köszönhetően az everX Flow, meglepő módon, nagyobb töréssel szembeni ellenállást és stressztörést hoz létre, mint a korábbi, paszta típusú rövid üvegszálas anyag (11). Mivel eredetileg az everX Flow-t részben a „szűk helyek” restaurálására fejlesztették ki, így kézenfekvő volt, hogy a Bioblock technikába is beépüljön. A szerzők által végzett számos vizsgálat arról számol be, hogy az EverX Flow-val végzett Bioblock technika ígéretesebbnek bizonyult mind mechanikai szempontból, mind az anyagon belüli résképződés/gyökércsatornán belül visszamaradt légzárványok szempontjából, mint a paszta típusú anyag (7,8).
Jelenleg vizsgálatok folynak arra, hogy az EverX Flow ragasztóként is használható hosszú, hagyományos vagy elasztikus üvegszálas csapok ragasztására, mely az eddigi eredmények szerint sokkal erősebb megoldást teremt, mint a sokak által használt, hagyományos üvegszálas csapozási technikák (8). De ez csak egyetlen példa. Az everX Flow felhasználási területe határtalan, és a szerzők személyes kutatási és klinikusi benyomása az, hogy az anyag segítségével képesek leszünk lényegesen kitolni a direkt restaurátumok határát, indikációs lehetőségeit az indirekt restaurátumok „felségterületére”.
9. kép: Légzárványok a Bioblock technikán belül.
everX Flow™
Rövid-üvegszállal erősített folyékony kompozit
Tökéletesen kiegyensúlyozott tixotrópia
Könnyű elhelyezés és kiváló adaptáció

Bulk Shade
Mély kavitásokhoz
Átvilágítási
mélység 5.5 mm
Kiváló törési szilárdság Velejéig erős
Dentin Shade
Esztétikumhoz
Átvilágítási
mélység 2.0 mm
GC EUROPE N.V. info.hungary@gc.dental https://www.gc.dental/europe/hu-HU
Prof. dr. Markus Greven, dr. Wolfgang Seuser, dr. Dennis Pogodin, dr. Sven Egger (Svájc)
TELJES SZÁJÜREGI REHABILITÁCIÓ
EGY PARAFUNKCIÓK KÖVETKEZTÉBEN
ERŐSEN ABRADÁLÓDOTT FOGAZAT
HELYREÁLLÍTÁSÁNAK LÉPÉSEI
A statikus és dinamikus okklúzió rágókészülékre gyakorolt hatásai
Alábbi cikkünkben szeretnénk bemutatni a statikus és dinamikus okklúzió a rágókészülékben fiziológiásan lezajló folyamatokra gyakorolt hatásait, valamint röviden össze akarjuk foglalni az ezzel a témával kapcsolatos, jelenleg elérhető tudományos eredményeket. Az alábbiakban hangsúlyozni szeretnénk a statikus és dinamikus okklúzió alsó állcsontok, illetve állkapocsízületek pozíciójára és funkcionális működésére gyakorolt neuromuszkuláris dominanciáját, valamint rá szeretnénk mutatni a fogazat állkapocsmozgásokat befolyásoló hatásaira.
Bevezetésképpen tekintsük át a rágókészülék mindennapi életünkben betöltött szerepét: szükség van rá a táplálékfelvétel során, a kommunikációban (esztétika, mimika, beszéd), szerepe van a lélegzésben, és alkalmas lehet a stressz levezetésére (fogak kocogtatása, csikorgatása, összeszorítása, harapdálás). A fogak csikorgatására és összeszorítására sok fogorvos csupán egy „kellemetlen” melléktünetként tekint, amit célszerű kezelni és megszüntetni, azonban ezek a parafunkciók ennél sokkal nagyobb jelentőséggel bírnak. Gomez és mtasi. kutatása alapján kifejezett szerepük van a stressz és az agresszió levezetésében. Állatkísérletek során már bizonyításra került, hogy a stresszállapotban megfigyelhető agresszív harapdálást
követően jelentős mértékben csökken az egyes neurotranszmitterek (adrenalin, noradrenalin) vérben mérhető koncentrációja, valamint a gyomornyálkahártyán megfigyelhető kóros elváltozások száma és kiterjedése is jelentősen kisebb lesz. Ugyanígy szignifikáns mértékben csökken a stressz-reakció során felszabaduló adrenocorticotrop hormon (ACTH) és FOS-protein (a neurális aktivitás szintjét jelző fehérje) patkányok agyában mérhető koncentrációja, valamint a kísérleti állatok középagyában stressz asszociáltan felszabaduló kortikotropin releasing hormon (CRH/ (Corticotropin Releasing Factor; CRF) szintje (1. ábra). Már az is bizonyításra került, hogy a vegetatív szabályzás alá eső funkciók, mint a testhőmérséklet, vér-

1. ábra: Az erőteljes „agresszív” harapás következtében szignifikáns mértékben csökken az adrenocorticotrop hormon (ACTH) vérben mérhető koncentrációja. (S = stressz; B = agresszív harapás; (x) = eltelt percek száma.)
2. ábra: Stressz-menedzsment: A stresszreakció során aktiválódik a rágókészülék fiziológiás stresszlevezető funkciója (harapás, szorítás, csikogatás).
nyomás, szívfrekvencia, fehérvérsejtszám (granulociták, leukociták) közvetlen összefüggést mutatnak a parafunkciós tevékenységek végzésével. Ezek a paraméterek azonnal megváltoznak, amint kialakul a stressz által indukált harapás vagy fogösszeszorítás. Időközben már emberkísérletekben is igazolták, hogy az emberi nyálban található Chromogranin A (CgA, az egyik legjobban kutatott stresszmarker) koncentrációja jelentős mértékben csökken a fogak összeszorítása és a harapás (stresszventil) során. A rágózás közben megfigyelhető folyamatok vizsgálata közben (2003-ban) a Wrigleys is (rágógumikat gyártó cég) hasonló megfigyeléseket tett.
Felmerül a kérdés, mi van abban a helyzetben, amikor a páciensnek nem jó a „harapása”? Az okklúziós eltérések jelentős mértékben megemelik a dopamin striatumban (corpus striatum) mérhető koncentrációját, ami pedig következményes módon megnöveli a dopamin hipotalamuszban, valamint a dopamin és noradrenalin frontális kéregben mérhető szintjét. Ennek köszönhetően pedig jelentős módon megnő az úgynevezett „érzelmi agynak” (limbikus rendszer, amygdala, hipotalamusz) az aktivitása. Ezek a változások összességében szignifikáns mértékben növelik a neurotranszmitterek és ezáltal az emberi test stresszhormon szintjét, ami pedig negatívan befolyásolja a fájdalomtűrő és fájdalomérző képességünket. Eddig a rágókészülékünkre leginkább mint az élelem felaprítását végző szervünkre tekintettünk, azonban ezen kívül a stressz menedzsmentben is jelentős szerepe van, amely pedig elengedhetetlen az emberi test fiziológiás működésének fenntartása szempontjából.

Abrázió, attríció, erózió
Az emberi fogazatban a rágókészülék stresszlevezető funkciója által indukált bruxizmus/fogösszeszorítás miatt létrejövő mechanikai abrázió, és/vagy az errozív hatások miatt előforduló nem cariogén keményszöveti defektusok prevalenciája, az elmúlt évtizedekben jelentősen megemelkedett. Ezeknek az abrazív, attritív és errozív hatások következtében kialakult, kifejezett mértékű károsodásoknak a hatására olyan defektusok jönnek létre, amelyek a fogak túlérzékenységét, az esztétikai megjelenés kedvezőtlen irányú változását, a harapási magasság elvesztését és más funkcionális problémák kialakulását okozhatják. A kezelési terv megírása során az előbbiekben felsorolt problémákon kívül azt is figyelembe kell venni, hogy ezen elváltozások egyre fiatalabb pácienseket érintenek, és az ő kezelésük során kiemelten fontos, hogy a lehető legminimál invazívabb módszerek alkalmazása mellett, hosszú távon fenntartható eredményeket tudjunk elérni.
Abrázió, attríció vagy erózió alatt olyan a fogakban kialakuló keményszöveti veszteséget értünk, amelyek bakteriális hatások nélkül, kizárólag mechanikai és/vagy kémiai károsodás hatására jöttek létre. Nemzetközi tanulmányok eredményei azt mutatják, hogy ezeknek az elváltozásoknak a prevalenciája az elmúlt három évtized során jelentős mértékben növekedett, valamint, hogy ezekkel az elváltozásokkal napjainkban leginkább a fiatalok és a fiatal felnőttek érintettek. Az abrázió és az erózió kialakulásának hátterében multifaktoriális okok állnak. Tudnunk kell, hogy a fogakat alkotó keményszövetek destrukciójához leginkább a fogakat rágás




a-e ábrák: Multiplex


4. a-c. ábrák: Az állkapocsízületen belül a fiziológiás fejecs fiziológiás elmozdulásai számára rendelkezésre álló tér nagysága. Az ízület, a fejecs a tér bármely irányába történő deviációját csak 0,6 mm – 0,8 mm-es határokon belül képes fiziológiás módon tolerálni.
közben érő átlagosnál nagyobb nagyságú erőhatások, valamint ezeknek az átlagosnál gyakrabban történő ismétlődése járul hozzá. Ezek leggyakrabban a harapás, vagy a fogak összeszorítása és csikorgatása közben lépnek fel. Ezen felül a kémiai ártalmaknak is jelentős szerepük van a fogszövetek destrukciójában. A különböző külső (ételek, italok) és belső forrásból (gyomorsav) származó savak kifejezett mértékben képesek roncsolni a fogakat alkotó keményszöveteket. Sok esetben a különböző okok összeadódva szinergista módon teszik tönkre a fogakat. Az egyes fogak erodáltságának mértékét az alábbi felsorolásban található tünetek jelenléte alapján tudjuk osztályba sorolni:
• 0. fok: Nincsenek abrázióra, attrícióra vagy erózióra utaló jelek. A zománcfelszín csillogó, a fogfelszíneken esetlegesen jelenlévő fejlődésvonalak (perkymata) hiányozhatnak.
• 1. fok: Nagyobb kiterjedésű fazettaszerű kopások a zománcfelszíneken. A defektustól gingivális irányba elhelyezkedő zománc érintetlen. Kisebb homorú felszínű kopások és lépcsőképződés jelenléte. Selyemfényű zománc. A fogat alkotó dentin még nem exponálódott.

• 2. fok: A dentin az érintett felület felénél kisebb területen exponálódott.
• 3. fok: A dentin az érintett felület felét meghaladó mértékben exponálódott.
A 2. és 3. fokban károsodott fogak esetében szükség van restauratív célú fogászati beavatkozások elvégzésre. Ezekben az esetekben célszerű egyidejűleg a fogak esztétikai és funkcionális helyreállítására törekedni. A kifejezett mértékű abráziós, attríciós vagy eróziós károsodástól szenvedő fogak (Jussi-féle 2. vagy 3. osztály) esetében jelentős mértékű zománc- és dentinveszteséggel, a fogak túlérzékenységével, sőt akár a pulpa érintettségével is számolnunk kell. Ezen felül még a vertikális dimenziók csökkenésével is találkozhatunk. Az ennek következtében kialakuló változások kifejezett esztétikai és funkcionális problémákat okozhatnak, amelyek megfelelő módon történő helyreállítása jelentős kihívások elé állíthatja a kezelésben részt vevő fogorvosokat és fogtechnikusokat. Ebben az esetben a legtöbb páciens az elveszített foganyag, valamint a sztomatognáth rendszer fiziológiás funkcióinak minimál invazív módszerekkel történő, hosszú távon fenntartható helyreállítást várja a kezelését végző fogorvostól.
A hagyományos módszerekkel (pl.: fémkerámia koronák készítésével) történő helyreállítás során, általában szükség van a készülő fogművek megfelelő elhorgonyzását biztosító retentív felületek kialakítása érdekében további beavatkozások elvégzésére.
A modern eljárásokkal készülő teljes kerámia restaurációk, különösen az adhezív módon rögzülő lithium-diszilikát pótlások alkalmazása lehetőséget biztosít - a hagyományos pótlások kihordási idejéhez közel hasonló mértékben - a szájálló fogművek sokkal minimál invazívabb módon történő elkészítésére. Lehetőség van a restauratív célú minimál invazív helyreállítás elvégzésére, azonban ebben az esetben a kezelési terv minden egyes lépését rendkívül előrelátó módon meg kell tervezni, és a kivitelezése során a lehető legnagyobb pontossággal kell eljárnunk. Az elkészítésre kerülő kerámiapótlások esetében alkalmazott minimális rétegvastagságnak kifejezett jelentősége van a kész pótlások kihordási idejében. Így az alkalmazott terápia hosszú távú prognózisának szempontjából, a kezelés megtervezés során elengedhetetlen a páciensek előzetes funkcionális analízisének az elvégzése. A kezelést lényegesen befolyásoló funkcionális aspektusok ezen vizsgálatok során kerülnek megállapításra. Egy ilyen megállapítás lehet, ha szükség van az alsó és felső állcsont egymáshoz viszonyított pozíciójának harapásemeléssel történő megváltoztatására.
A szakirodalomban több különböző módszertani ajánlást olvashatunk a kifejezett mértékben abradált/erodált fogazattal rendelkező komplex esetek ellátásával kapcsolatban. Bármilyen módszert is válasszunk, végül szükség lesz az alsó és felső állcsont egymáshoz viszonyított helyzetének a vertikális harapási magasság megnövelésével történő megváltoztatására. Az alábbiakban bemutatásra kerülő kezeléstervezési módszer a prof. Rudolf Slavicek (Bécsi Interdiszciplináris Fogászati képzőhely; Vienna School of Interdisciplinary Dentistry, VieSID) által megfogalmazott funkció-analisztikai alapfelvetéseknek megfelelően került
kidolgozásra. Amennyiben ezt követjük, akkor már a tényleges kezelések megkezdésekor tisztában leszünk az új okklúziós viszonyok kialakításához szükséges összes lényeges paraméterrel.
Craniomandibuláris, neuromuszkuláris és okkluzális
vezetőrendszer
Dimenzionális viszonyok
A fiziológiás állkapocsízületi elmozdulások csak egy rendkívül jól definiált, korlátozott nagyságú téren belül tudnak megvalósulni. Bármely, az ízületek szintjében bekövetkező elmozdulás vagy elfordulás, amely a fiziológiás mozgástartományt bármely irányba (kraniális, dorsális, transzverzális) 0,6-0,8 mm-rel meghaladja, az az állkapocsízületeket alkotó anatómiai képletek túlzott megterheléséhez (túlterheléséhez) vezet (bilamináris tér, discus articularis, ízületi szalagok, csontfelszínek). Mindez válaszreakciót vált ki a rágókészüléket irányító neuromuszkuláris rendszerben (funkcionális kompenzáció), továbbá a rágókészülék környezetében lévő szervekben és szervrendszerekben (fejtartás, nyaki gerinc, vállöv, gerincoszlop (4. a–c ábra)
Ezzel szemben a fiziológiás állkapocshelyzetet elsősorban a statikus és a dinamikus okklúzió befolyásolja és biztosítja. A rágó- és a résztvevő izmok által kifejtett erőhatások egyenletes eloszlatása révén biztosítja, hogy ne alakuljon ki az egyes izmok túlműködése (hiperaktivitása). A különböző okklúziós helyzetek során megfigyelhető okklúziós viszonyok és az ezek közti átmenetet biztosító fogak által vezetett elmozdulások jelentős szerepet játszanak a rágóerők egyenletes eloszlatásában. Egyértelmű, hogy szemfogak által dominált csoportvezetéssel rendelkező fogazatban protrúzió esetén a rágózónában az okklúziós felszínek eltávolodnak egymástól. Fontos továbbá, hogy a protrúziós, laterotrúziós és mediotrúziós elmozdulások során mindez megakadályozza, hogy a kisőrlőfogak és a nagyőrlőfogak érintkezése révén az állkapocsmozgások megváltozzanak. Úgy tűnik, hogy ezek a vezetési viszonyok a legalkalmasabbak a fiziológiás állkapocsízületi elmozdulások biztosítására (5. ábra). Az ettől az okklúziós helyzettől való eltérések - egyes fogak fiziológiás helyzettől eltérő pozíciója, vagy az okklúziós viszonyok megváltozása miatt létrejövő parafunkciók - könnyen fájdalmas tünetekkel járó temporomandibuláris ízületi diszfunkciók kialakulásához vezethetnek.
Az okklúziós viszonyok megváltozása miatt az állkapocsízületi pozícióban bekövetkezett változások a funkció közben létrejövő kompresszió vagy disztrakció következtében jönnek létre. Ezek a parafunkciós elmozdulások pedig az állkapocsízületet alkotó szövetek kóros elváltozásá hoz vezethetnek (a szinoviális tér kontúziója, az ízületi szalagok rongálása, capsulitis által kiváltott ízülti ödéma, a condylus és a discus articuláris pozíciójának a megváltozása, vagy legrosszabb esetben az állkapocsízületet alkotó csontos képletek felszívódását is kiválthatja). Ezekben az esetekben a rágóizmok fokozott tónusa vagy megváltozott működése, nyakfájdalom, fejfájás, illetve más neurológiai tünetek, mint















5. ábra: Az erőteljes szemfogvezetéssel rendelkező csoportvezetés által irányított dinamikus okklúzióra jellemző értékek.
állcsonthoz viszonyított elmozdulásait koordináljuk. Azonban az okklúziós helyzet ezzel egyidejűleg, a fiziológiás kondilusz helyzetet és az állkapocsízület nyugalmi helyzetben történő elmozdulásai számára fiziológiásan rendelkezésre álló teret is meghatározza. A rágókészülék esetében egy rendkívül finom és komplex rendszerrel állunk szemben. Okklúzió során már 0,02 mm – 0,03 mm-es nagyságú eltéréseket is észreveszünk, fiziológiás körülmények között az állkapocsízületi csupán az eredeti pozíciójának 0,6 mm – 0,8 mm-es megváltozását képes tolerálni, fiziológiásan a processus articuláris meredeksége (hátsó vezetőfelszín) és a fogak által meghatározott vezetőfelszín (elülső vezetőfelszín) között maximálisan csupán 10o-nyi különbséget találhatunk (6. ábra). A fentiek jól mutatják, hogy a fogorvostudomány egy rendkívül összetett, esetenként egyénileg jelentős mértékben eltérő, egyedi szervrendszer komplex kezelésével foglalkozik.
Terápiás alkalmazás
A vélelmezhetően okklúziós eltérések miatt kialakult temporomandibuláris ízületi diszfunkciótól szenvedő páciensek ellátása esetében, az inciciális terápia részeként feltétlenül szükség van az okklúziós viszonyok reverzibilis módon történő megváltoztatására. A kezdeti terápia hatására a páciens által észlelt jeleknek és tüneteknek viszonylag rövid idő alatt jelentős mértékben javulniuk kell. Csak ezt követően győződhetünk meg a kiindulási diagnózisunk helyességéről, és állhatunk neki a definitív terápia megvalósításának (a rágófelszínek szelektív funkcionális nivellálása, állcsont-orthopédiai beavatkozások, az okklúzió konzerválófogászati és/vagy protetikai módszerekkel történő korrekciója).
Amennyiben a kezdeti terápia pozitív eredményekkel zárul., tehát a protokollszerű kezelésünk eredményeként, az újraértékelés során a páciensek panaszai objektív (a kezelést végző fogorvos által észlelve) és szubjektív módon (a páciens által észlelve) is javulnak, akkor biztonsággal megkezdhetjük az okklúzió invazív módszerekkel történő korrekcióját. Amennyiben a terápiás kezelések hatására bekövetkező pozitív változások alapján meggyőződhettünk a kezdeti diagnózisunk helyességéről, úgy az okkluzális rehabilitáció megfelelő kivitelezésére kell helyeznünk a hangsúlyt. A definitív terápia során figyelembe kell venni és meg kell őrizni az állcsontízületek fejecsének fiziológiás helyzetét. Ezt jelentős módon elősegítheti, ha az okklúziós viszonyok véglegesítése során tekintettel vagyunk a csoportvezetés és a szemfogvezetés kialakítására.
Eredmények
6. ábra: A szabad állkapocsmozgásokat lehetővé tevő interkoronális térköz.
izom- és ízületi fájdalmak, vagy az alsó állcsont mozgástartományának beszűkülése is többször előfordulhat. A statikus és dinamikus okklúzió révén egy olyan neurológiai feedbacket kapunk, amely segítségével az alsó állcsont felső
Az ember rágószerve egy komplex és összetett szervrendszer, amely kezelése pontos tervezést, kivitelezést és utánkövetést igényel. A fogazati rehabilitáció célja, hogy helyreállítsa az állcsontízületek fiziológiás funkcióit. Cikkünkben a statikus és dinamikus okklúzió rágókészülékre gyakorolt hatásait mutattuk be.
Forrás: Cosmetic Dentistry; 2020/2+3
F1
F2
F3
Nagy látómező

Touchpad egyszerű navigáció 10 bites technológia
i900
ALL IN ONE ALL IN ONE intraorális szkenner a könnyed szkennelési élményért
360 fokos érintőgyűrű ki- és bekapcsolás bármilyen szögből
Résmentes készülékház kiemelkedő higiénia
Mindössze 165g (fejjel együtt)

Kis létszámú MEDIT hands-on kurzusok soproni bemutatótermünkben. Információ: +36 20 9510368

Jó oka van a ragasztott fogpótlások egyszerűsödésének. Az nyújtanak az orvosoknak. A self-adhezív használat

új univerzális self-adhezív ragasztó kompozitok segítséget
használat során csökkent bondozóerőt erősíteni lehet
Prof. dr. Brian Millar (UK), dr. Stephen Denny (USA)
BOND-ODONCIA, INDIREKT
RESTAURÁTUMOK KORSZERŰ RAGASZTÁSA
Ahogyan a klinikusok eltávolodnak az öntött fogpótlásoktól az esztétikus anyagok felé, úgy haladnak a hagyományos cementektől folyamatosan az adhezív ragasztás felé (1. ábra). Ennek megfelelően eltolódás jön létre a hagyományos cementek felől (pl.: cink-foszfát) a duál kötésű rezinbázisú ragasztók felé.
Ideális esetben az adhezív ragasztó anyagoknak kötődniük kell mind a fogszövethez, mind pedig a restaurátumhoz, fogszínűnek és könnyen kezelhetőnek kell lenniük.
A könnyű kezelhetőség magába foglalja: injektálhatóság, duál kötés, megfelelő viszkozitás és nincs szükség külön savazás és bondozás fázisokra.
Az elsők között volt a ParaCore (COLTENE) és habár csonkfelépítő anyagnak tervezték, a folyékony tulajdonsága, duál

1. ábra: Tradícionális arany (bal) és fémkerámia koronák hagyományosan cementtel (pl.: zink-foszfát) ragaszthatóak és kivételes kihordási idővel rendelkeznek - közel 50 év - a gyakorlatban. Adhezíven is ragaszthatóak. Az esztétikus indirekt restaurátumok (jobb) sokkal összetettebb adhezív ragasztási technikát igényelnek.

3-4. ábra: Digitális lenyomat.
kötése és színe miatt adhezív cementnek is alkalmas. Még ha a legtöbb fent említett követelmény többségének meg is felelt, a ParaCore esetében, mint számos korábbi rezinbázisú ragasztóanyagnál (pl.: Nexus, Calibra, Panavia), kiegészítésként szükséges egy adhezív is. Ezért, a további fejlesztések eredményeként az adhezívekbe beépítve jelenleg is népszerű anyagok elterjedését hozták el nekünk, az úgynevezett self-adhezív cementeket, mint a RelyX Unicem (3M) vagy SoloCem (COLTENE). Ezeket úgy tervezték,

2. ábra: Kiindulási állapot a páciens szájában.



6. ábra: Preparálást követő digitális lenyomat, preparációs határ ellenőrzése.






12. ábra: Teflonszalag (PTFE) a szomszédos fogak védelme érdekében.
5. ábra: Eltávolított amalgám tömés és preparáció.
7. ábra: Onlay tervezés és az occlusio ellenőrzése.
9. ábra: Onlay a polírozás előtt.
11. ábra: A fogpótláshoz használt termékek: ONE COAT 7 UNIVERSAL, Etchant Gel S és SoloCem.
8. ábra: Indirekt restaurációs anyag: BRILLIANT Crios Block.
10. ábra: Onlay a polírozás után.

13. ábra: Szelektív savazás Etchant Gel S géllel

15. ábra: ONE COAT 7 UNIVERSAL applikációja és fényrekötését követően a preparáció.

17. ábra: Onlay behelyezése.
hogy közvetlen a fogon használhatóak legyenek úgy, hogy sem külön savazásra, sem külön bondozásra sincs szükség.
Azonban a bondozóerő a self-adhezív cementeknél kisebbnek bizonyult az egyes adhezív ragasztóanyagokéhoz képest, amelyhez már kiegészítésként bondot is használtak. Amíg néhány esetben a bondozóerőnek egy self-adhezív protokollból eredően elegendőnek kéne lennie, más esetekben azonban nincs így. Ez az, amiért univerzális ragasztóanyagok (pl.: RelyX Universal, 3M) vannak az adhezív cementek legújabb fejlesztésében. A gyártók felismerték, hogy néhány esetben szükség lehet a kiegészítésként használt bond erejére és elkészítették a bonddal kompatibilis saját self-adhezív ragasztóanyagukat. A SoloCem (eredetileg egy self-adhezív anyag) ma már használható az univerzális ONE COAT 7 UNIVERSAL (COLTENE) bonddal egy rétegben, ha a klinikus azt választja, hogy tökéletesíti a bondozóerőt a zománcon és a dentinen. Még ha a ONE COAT 7 UNIVERSAL fényrekötő is, úgy tervezték, hogy a savassága nem befolyásolja a SoloCem ragasztóanyag kötési tulajdonságait. Ez azt jelenti, hogy nincs szükség további aktivátor használatára a ONE COAT 7 UNIVERSAL esetén. Annak érdekében, hogy a bondozóerő tovább javuljon a zománcon, kiegészítésként szelektív savazási technika használatát javaslom. Figyelembe venném ennek a fontosságát, amikor a fémvázas

14. ábra: Onlay restaurátum felszíne előkezelés után, fényrekötő ONE COAT 7 UNIVERSAL alkalmazása.

16. ábra: SoloCem felvitele az onlayre.

ábra: Beragasztott fogpótlás.
rezincementtel ragasztott híd a zománchoz kötődik. Tehát a zománc (nem a dentin) 25 másodpercig tartó savazását standard 35%-os foszforsav géllel (pl.: Etchant Gel S, COLTENE), mosás és óvatos szárítás követi. Óvatosnak kell lenni, hogy a sav ne kerüljön a szomszédos fogakra, különben a tisztítás jóval nehezebbé válik. Ideálisan a szomszédos fogakat barrierrel kell védeni és az adhezív ragasztási protokollal kell folytatni (12-18. ábra). Figyelembe kell venni, hogy a bond anyag fényrekötését el kell végezni a restaurátum behelyezése előtt. Ezért a bond rétegnek nagyon vékonynak kell lennie, különben az megakadályozhatja a restaurátum behelyezését.
Konklúzió
Jó oka van a ragasztott fogpótlások egyszerűsödésének. Az új univerzális self-adhezív ragasztó kompozitok segítséget nyújtanak az orvosoknak. A self-adhezív használat során csökkent bondozóerőt erősíteni lehet az alábbi lehetőségekkel: – Szükség esetén zománc savazása – Szükség esetén kiegészítésként további bond réteg alkalmazása a kötés erősségének növelésére.
Forrás: Coltene Solocem esettanulmányok 2021/3
18.

Dr. Yasin Aktas, dr. Jessica Mertens (Németország)
A FRONTRÉGIÓBAN LÉVŐ FOGHIÁNYOK ELLÁTÁSÁNAK
MŰVÉSZETE
–LEHETŐSÉGEK ÉS HATÁROK
A frontrégióban található foghiányok ellátása mindig rendkívül felelősségteljes feladatnak számít, különösen, ha az esztétikai szempontból jelentkező kihívásokat is figyelembe vesszük. Ennek a feladatnak az ellátására többféle módszer közül is választhatunk. Ebben a cikkben e módszerek közül három olyan eljárást kívánunk bemutatni, amelyek alkalmazásával lehetőségünk van magas esztétikai színvonalon kivitelezett fogpótlások elkészítésére.




1-5. ábra: Traumás frontfog sérülésének ellátása - azonnali implantáció segítségével.
A frontrégióban található foghiányok ellátása során az egyik legnehezebb feladatot a páciensek számára legmegfelelőbb terápiás modalitás kiválasztása jelenti. Gondoljuk végig, hogy melyik az a három, leggyakrabban alkalmazott módszer, amelyek alkalmazásával lehetőségünk van a foghiányok ellátására:
1. A frontrégióba történő implantátum behelyezése;
2. Maryland-híd készítése;
3. Hagyományos híd készítése.

Felmerül a kérdés, hogy ezek közül melyik a legjobb megoldás? Lehet ezen eljárások megfelelőssége között különbséget tenni? Az előbbiekben felsorolt különböző típusú fogpótlások mindegyike alkalmas lehet a páciensek fogazatának hosszú időn keresztül történő, magas esztétikai színvonalon megvalósított helyreállítására. A fentiekből az következik, hogy minden esetben, egyedileg kell a legkedvezőbb végeredmény eléréséhez szükséges módszert meghatároznunk. Az egyes pácienseknél megfigyelhető egyéni jellemzők jelentős mértékben befolyásolhatják a különböző módszerekkel elérhető végeredmények esztétikai megjelenését.
Az életkor
Melyik az a legfiatalabb életkor, amely elérésétől lehetségessé válik a fogászati implantátumok behelyezése? Sok implantológiában jártas szakember foglalkozott már ennek a kérdésnek a megválaszolásával, de ennek ellenére, sem sikerült eddig egy általánosan elfogadott konszenzusra jutni. Ennek megfelelően jelenleg nem tudunk egzakt választ adni a fenti kérdésre. A téma vizsgálata során annak a kérdésnek az eldöntése a legfontosabb, hogy az implantátumok behelyezése előtt szükség van-e a növekedés befejeződésének lezárulásához. Vannak olyan szakemberek, akik ezt kifejezetten kontraindikáltnak tartják. Ők úgy vélik, hogy a megfe-


lelő fiziológiás terhelés hiánya miatt, csontnövekedés helyett idővel a foghiánynak megfelelően elhelyezkedő csontállomány atrófiájával fogunk szembesülni. Más szakemberek a túlságosan korai életkorban történő implantáció egyik legjelentősebb hátrányát, az implantátumok saját fogazathoz képest megfigyelhető relatív „infrapozícióját” hangsúlyozzák. Ez leginkább a 16 éves életkor elérése előtt behelyezett implantátumok esetében jellemző. Ennek az életkornak az elérése előtt - különösen a felső állcsont esetében rendkívül jelentős növekedési potenciállal kell számolnunk. Az állcsontok növekedési üteme 16-30 éves életkor között jelentős mértékben lassul, általában mindösszesen 1,5 mm-es változással számolhatunk ezen időtartam során. Mivel jelenleg nem érhető el semmilyen olyan protokoll, amelyben egyértelműen meghatározzák az implantátumok behelyezéséhez szükséges legfiatalabb életkort, ezért a korai implantátum behelyezés következtében kialakuló relatív infrapozícióval járó hátrányokat kell szembeállítanunk az implantátumok behelyezésének elmaradása miatt bekövetkező csontleépülés mértékével. Minden esetben egyedileg kell a különböző kezelési alternatívákkal elérhető előnyöket és az ezekkel járó hátrányokat felmérni. A végleges kezelési tervet a szülőkkel közösen, velük egyetértésben kell kialakítani.
A fiatal életkorban történő implantátum behelyezéshez olyan rizikófaktorok társulnak, amelyek az implantátumok korai elvesztését okozhatják. Ezek közül kiemelnénk, hogy a gyermekek esetében a processus alveoláris általában rendkívül limitált csontkínálattal rendelkezik, valamint azt is, hogy a gyermekek esetében a hiányzó fiziológiás terhelés miatt, a felnőtt páciensekhez képest sokkal gyorsabban következik be az alveoláris csont atrófiája. Ha a gyermekeknél hosszú időn keresztül elmarad a fogatlan állcsontgerinc-szakasz fiziológiás terhelése, akkor az itt elhelyezkedő csontállomány sokkal kortikalizáltabbá válik. Így az itt található csontállomány sokkal tömörebb lesz, és az implantáció során gyakran eltörik, elhasad. Ezek a káros szövődmények rendkívüli mértékben megnehezíthetik az implantátumok biztonságos elhorgonyzásának a kialakítását. A jelenleg elérthető tudományos ismereteink alapján azt javasoljuk, hogy csak az állcsontok növekedésének befejeződését követően kezdjük meg az implantátumok behelyezését.
A mosolyvonal
Sokkal egyszerűbb helyzetben vagyunk, ha mosolygás közben a fogpótlás és a saját lágyrészek

találkozását jelző határvonal a felső ajak takarásában marad. Ezekben az esetekben viszonylag könnyen meg tudjuk oldani a fogpótlások esztétikus kialakításával kapcsolatban felmerülő kérdéseket. Azonban, ha a páciens magasan futó mosolyvonallal rendelkezik, akkor a rendelkezésre álló kemény- és lágyszövetek mennyisége, valamint elhelyezkedése rendkívül hangsúlyos módon tudja az elérhető eredményeket befolyásolni.
A magas mosolyvonallal rendelkező páciensek esetében több olyan faktort is be tudnunk azonosítani, amely rendkívüli mértékben megnehezítheti egy esztétikus fogpótlás elkészítését. Ezek közé tartozik a vékony biotípus és a különböző kiterjedésű csontdefektusok jelenléte.
A fogíny
Az íny biotípusa és a marginális ínyszél lefutása akár negatív irányba is módosíthatja a frontfogak pótlására szolgáló restaurátumok esztétikai megjelenését. A vékony biotípussal rendelkező páciensek esetében előfordulhat, hogy az implantátumok és a hozzájuk csatlakozó felépítmények fémes színe szürkésen átdereng az azokat borító, vékony lágyrészeken keresztül. Az íny biotípusán kívül a marginális ínyszél lefutása is az egyes páciensekre egyedileg jellemző faktorok közé tartozik. Jelentős kihívásokkal szembesülhetünk azoknak az eseteknek az ellátása során, amikor a marginális ínyszél lefutása nem harmonikus, hanem az egyes fogaknak megfelelően található ínyszél elhelyezkedésében jelentős különbségeket láthatunk. A fogpótlások elkészítése során az

6-9. ábra: Egy 14 éves páciens felső fogsorának esztétikai megjelenését Maryland-hidak elkészítésével korrigáltuk. 6. 7.
a célunk, hogy marginális ínyszél lefutását esztétikailag kedvező módon tudjuk befolyásolni. Ebben az esetben a fogakat határoló papillákat egy harmonikus íven futó ínyszéli vonal köti össze. Ennek a kialakításához elengedhetetlen a lágyrészek ideiglenes fogpótlásokkal történő előzetes formázása.
A rendelkezésre álló csontvolumen
A lágyrészeken kívül a rendelkezésre álló csont mennyisége is kifejezett jelentőséggel bír a kezelés befejezése során elérhető végeredmény szempontjából. Ez nem csak az adott terület esztétikai megjelenését tudja befolyásolni, hanem az implantátumok behelyezhetőségét is jelentős mértékben meghatározza. A fentieken kívül a marginális ínyszél lefutása is nagyban függ az azt alátámasztó keményszövetek rendelkezésre állásától. Amennyiben a meglévő csontvolumen nem teszi lehetővé egy megfelelően funkcionáló és kedvező esztétikai megjelenéssel rendelkező fogpótlás elkészítését, akkor a jó végeredmény érdekében előzetes csontpótlást kell végezni.
A továbbiakban három különböző eset ismertetésével szeretnénk bemutatni azokat a körülményeket, amelyek fennállása esetén közel ideális végeredményt tudunk biztosítani különböző módszerek alkalmazásával.
Frontrégióban történő implantátum behelyezése (1-5. ábra) Egy fiatal páciens baleset miatt bekövetkezett traumás fogsérülése miatt kereste fel a rendelőnket. A sérülés óta 2 év telt el. A baleset során megsérült jobb felső nagymetsző fogat már előzőleg gyökérkezelték, sőt, gyökércsúcs rezekciót is végeztek, ám ennek ellenére a fog megtartása a továbbiakban már nem volt lehetséges. A klinikai vizsgálatot követően el kellett dönteni, hogy a páciens fogazatának helyreállítása során milyen restauratív módszert alkalmazzunk. A páciens azt kérte, hogy lehetőség szerint egy gyorsan kivitelezhető és ideális esztétikai végeredménnyel járó kezelésben részesüljön.
Vegyük sorra azokat a faktorokat, amelyek a legkifejezettebb mértékben befolyásolják a választandó kezelés típusát. A páciens életkora meghaladta a 28 évet, így az implantátum-behelyezés szempontjából nem tartozott kritikus korcsoportba. Ezzel ellentétben, viszont viszonylag magasan futó mosolyvonallal rendelkezett. Önfeledt nevetés közben a felső fogak és az azokat övező marginális ínyszél jelentős része látható volt. Ennek megfelelően az implantátum teste és a korona közti átmenetet esztétikai okokból „észrevehetetlenné” kellett tenni. A vékony biotípussal vagy csekély mennyiségű lágyrészekkel rendelkező páciensek esetében felmerül annak a veszélye, hogy a fogpótlás fémből készült részeinek megfelelően, az ínyen keresztül egy szürkés „derengés” válik láthatóvá. Ennek elkerülése érdekében - a bemutatásra kerülő eset ellátása során - egy cirkónium-dioxidból készült abutment készítése mellett döntöttünk. A baleset következtében ínyrecesszió alakult ki, a korrekció érdekében kötőszövet átültetést végeztünk. A végleges lágyszöveti profilt ideiglenes fogpótlások segítségével alakítottuk ki. Mivel azonnali implantáció mellett döntöttünk - tehát az implantátum beültetésére közvetlenül a fog eltávolítása
után került sor -, ezért az implantátum elhorgonyzásához elegendő csontállománynak kellett rendelkezésünkre állni. Az eset ellátása során nyert tapasztalatokból egy egyszerű megállapítást tudunk levezetni: Azoknál a fiatal pácienseknél, akik megfelelő csontkínálattal rendelkeznek, és a foghiányuk rövid időn belül történő ellátását szeretnék elérni, akkor is érdemes egy szóló implantátum behelyezése mellett dönteni, ha egyébként az adott páciens magasan futó mosolyvonallal rendelkezik.
Maryland-híd (6-9. ábra)
Egy fiatal páciens a hiányzó felső, oldalsó metszőfogai pótlása miatt kereste fel a rendelőnket. Mivel ebben az időpontban a páciens még csak 14 éves volt, ezért az implantátumokkal történő ellátását kifejezetten kontraindikáltnak ítéltük. Úgy véltük, hogy ebben az életkorban még túl fiatalnak számít fogászati implantátumok behelyezéséhez. Az ilyen jellegű esetek ellátása során Maryland-hidak készítését tartjuk elsődlegesen választandó terápiának. Az esetet 5 éven keresztül követtük, az átadásra került pótlás mindvégig megfelelően funkcionált. Az oldalanként egyegy fémszárny segítségével, a ragasztással rögzülő pótlás teljes mértékben elvégezte a neki szánt feladatot. Azokban az esetekben, amikor a páciens nem szeretné, vagy egyéb korlátozó tényezők miatt nincs lehetőség a frontrégióban lévő foghiányok implantátumokkal történő pótlására, akkor a Maryland-hidak készítését tekintjük az aranystandardnak. Ezekben az esetekben ez az elsődlegesen választandó minimál invazív kezelési lehetőség. Ez a terápiás opció kifejezetten alkalmas a csírahiánytól szenvedő fiatal páciensek ellátására. Amennyiben későbbiekben mégis szükség lenne implantátumok behelyezésére, akkor annak a kivitelezését ez a terápiás megoldás semmiben sem korlátozza.
A fogászati szakemberek között nincs egyetértés az ehhez hasonló esetek legoptimálisabb ellátásával kapcsolatban. A Maryland-hidak behelyezését követően felgyorsulhat - a fiziológiás terhelés hiánya miatt megfigyelhető - csontleépülés sebessége. Ennek köszönhetően előfordulhat, hogy a későbbiekben csak sokkal korlátozottabb mennyiségű csontállomány áll majd rendelkezésre az implantátumok behelyezéséhez. Ezzel szemben viszont azt az érvet tudjuk felhozni, hogy a csírahiányoknak megfelelően elhelyezkedő csontállomány - a fiziológiás terhelés eredendő hiánya miatt - alapvetően sokkal fejletlenebbnek számít, és az esetlegesen ebbe a pozícióba helyezett implantátumok infrapozícióba kerülésével még inkább korlátozzuk az állcsontok növekedését. A minimál invazív gingivectómia elvégzését és két Maryland-híd átadását követően elért állapottal nem csak a fiatal páciensünk, hanem a szülők is kifejezetten elégedettek voltak.
Hagyományos hídpótlás (10-13. ábra)
Azokban az esetekben, amikor a foghiányt határoló fogak konzerváló fogászati helyreállítás során készített restaurátumokkal rendelkeznek, vagy ezeknek a parodontális érintettségét észleljük, akkor nincs lehetőségünk Maryland-híd készítésére.
Melyek azok a körülmények, amelyek fennállása esetén, esztétikai okok miatt inkább eltekintünk az implantátumok alkalmazásától?

A mellékelt képeken látható, hogy a páciens korábban már átesett – egy utólagosan esztétikai szempontból sikertelennek ítélhető – implantológiai beavatkozáson. A jobb felső nagymetszőfog helyére helyezett implantátum nem megfelelő tengelyállással került behelyezésre. A műtétet követően az implantátum felszínén lévő csavarmenetek egyre nagyobb területen váltak láthatóvá. A páciens ezzel a problémájával már több orvost is felkeresett, és mindenkitől egy új implantátum behelyezését kérte. Ebben az állapotban már egy rendkívül jelentős nagyságú csontdefektussal állunk szemben. Az implantátumot határoló papillák kifejezett mértékben destruálódtak. Az ilyen nagy kiterjedésű csontdefektusok helyreállítása rendkívül bonyolult feladatnak számít, és ezzel az eljárással elérhető eredményeket is nehéz előre felbecsülni. Ilyenkor mindig kérdéses, hogy a kezelési terv megírásakor meghatározott esztétikai célokat - a kezelések befejezésével - el tudjuk-e érni?
E cikk szerzőinek nézőpontja szerint ezekben az esetekben azzal kapcsolatban is részletesen tájékoztatni kell a pácienseinket, hogy ha a csontfelépítés hosszú és rögös útját választják, akkor sem lehet tökéletes esztétikai végeredményeket garantálni. A legtöbb ehhez hasonló helyzetben lévő páciens általában már sok negatív élményt élt át, és sokan már évek óta nem mernek önfeledten mosolyogni. Ezek az állapotok akár a páciensek szociális elszigetelődéséhez is vezethetnek.
Honnan ered az a téves elképzelés, hogy egy híd nem rendelkezhet „természetes megjelenéssel”? Egy hídpótlás elkészítése lehetővé teszi, hogy egy nagy kiterjedésű



10-13. ábra: Egy sikertelennek ítélt implantátum eltávolítását követően, a frontrégió esztétikai megjelenését egy hídpótlás segítségével állítottuk helyre.
csontdefektust teljes mélységében és szélességében optikailag eltüntessünk, és ehhez csak rózsaszín kerámia alkalmazására van szükség. Egy laikus soha sem fogja a jól kidolgozott műínyt a páciens saját fogínyétől megkülönböztetni. Tehát miért is akarjuk a pácienseinket hónapokon keresztül megterhelő műtéteknek kitenni? Vannak olyan esetek, amikor az egyszerűbb és gyorsabb megoldás alkalmazásával akár sokkal esztétikusabb végeredményt is tudunk biztosítani.
Összefoglalás
A frontrégió esztétikus megjelenésének helyreállítása a fogorvosok és a páciensek számára is megterhelő feladatot jelent. Egyetlen páciens sem tud hosszú távon együtt élni azokkal az erős esztétikai hiányosságokat magukban hordozó megoldásokkal, amelyek mások számára is egyből feltűnőek lehetnek. Az esztétikai zóna helyreállítása során - az egyes esetekre vonatkozó anatómiai tulajdonságokon kívül - a páciensek egyedi kívánságait különösen figyelembe kell venni. Bárhogy is fogalmazzák meg, összességében valamennyi páciens ugyanazt szeretné elérni. Azt akarják, hogy tökéletes legyen a mosolyuk! Ilyenkor a fogorvosok elsődleges feladata az, hogy meghatározzák, mely terápiás lehetőségek érhetőek el a páciensek számára, valamint, hogy ezek közül kiválasszák azt, amely leginkább megfelel a páciensek kívánságainak.
Forrás: Cosmetic Dentistry 2020; 4/ 6-9
Dr. med. dent. Volker Bonatz, Klaus Ernst (Németország)
ÁRRAL SZEMBEN
A cikkel a fogorvosi és fogtechnikai kézműves művészet és a csapatmunka mellett szeretnénk lándzsát törni. Jól tudva, hogy a „kézműves” és „digitális” kiegészíthetik egymást, de a „tisztán digitális” nem jelenti az utolsó szó kimondásának jogát is. Ezt bemutatandó választottunk két, együtt megoldott esetet.

1. ábra: Kiindulási helyzet: aplázia következtében hiányos fogazat (12 és 22 nem nőtt ki)
Ha kinyitjuk az aktuális szakfolyóiratokat, a digitális eljárásokról és gyártástechnikáról szóló cikkek és reklámok szinte elárasztanak bennünket. Láthatóan már mindenki szájban szkennel, „gájdolva” implantál, csak a PC-n tervez, géppel frézel és mindent kinyomtat 3D-ben… Már a digitális páciensről is lehet olvasni.
Az alapvetően még mindig kézzel munkálkodó fogorvos vagy fogtechnikus léte szempontjából azonban kétségbevonható ez a „digitális szökőár”. Jó adag önbizalomra van szükség ahhoz, hogy ne vonjuk kétségbe saját munkamódszerünket, és gazdag tapasztalatainkkal együtt ne dobjunk át mindent a korláton. Felfogásunk szerint a protetikai restauráció sikeréhez több szükséges, mintsem csak a preparált fog intraorális szkennelése, adatok elküldése és aztán megfelelő könyvtárból az illeszkedő forma kiválasztása.
„Kézműves” és „digitális” nem zárja ki egymást, ezt mutatja be cikkünk két részben.
1. eset
Aplázia következtében nem nőttek ki a fiatal hölgy 12 és 22 fogai. Gyakran kerülnek ehhez hasonló, korábbiakban nem, vagy részben kezelt esetek a rendelőbe. Páciensünk is átesett korábban fogszabályozó kezelésen. A felső szemfogakat mezializálták, zárva a hézagokat, megtartva a szűk és mélyharapásos alsó frontállást (1–2. ábrák) . A páciensek gyakran figyelmen kívül hagyják az ilyen fog -
állásból eredő „zavart”, mivel növekedésük, foglalkozásuk más területeket állít előtérbe. Ha azonban a gyerekek „kirepülnek” a szülői házból, átgondolják életüket, saját igényeket állítanak. Hölgypáciensünk is elmesélte a fogtechnikusnak – aki gyakran jobb beszélgetőpartner ilyen esetekben –, hogy kinézete „mindig is zavarta”, és az iskolában „nem egyenértékűnek” érezte magát.
Átfogó előzetes tervezés
Mielőtt nekikezdünk ilyen eset megoldásának, alaposan átgondoljuk, hogyan fessen majd a végeredmény. A harmonikus megoldáshoz koronahosszabbítás jöhet szóba: esztétikussá válik a marginális szél, és a hézagok zárása után optikailag nem válnak túl szélessé a frontfogak. Beartikuláltuk a dublírozott szituációs mintákat. Az új elképzeléseket először rárajzoltuk a mintára (3–4. ábrák), és annak megfelelően preparáltuk a gipszfogakat. Ehhez a fogtechnikus rendelkezésére kell álljanak a röntgenképek, a pulpa kiterjedésének ismeretéhez. Az újbóli dublírozást követően világos viasszal elkészítjük az első viaszmintázatot, amellyel bemutatjuk a páciensnek, mi a különbség, és mely eredményre szeretnénk jutni (5. ábra). Ebben a stádiumban a formai kialakítás még szabadon befolyásolható, viasszal megváltoztatható. Ha minden résztvevő egyetértett, lemásoljuk a mintát a viaszmintázattal együtt, és gipszmintát készítünk, amelyre mélyhúzással síneket gyártunk a későbbi ideiglenesek kiala-

2. ábra: Előzetes kezelés során korábbiakban próbálkoztak a hézagok fogszabályozással történő zárásával.
kítását segítendő. Legkésőbb ebben a fázisban eltűnnek a páciens kétségei azzal kapcsolatban, megéri-e ezen az áron készíttetni a pótlást, ha összehasonlítja egyéb ajánlatokkal. Felismeri a munkaráfordítást, és hálás lesz a fogorvosnak és fogtechnikusnak, amiért nem „estek neki” diszkontáron azonnal megoldani. A szék mellett készített mock-up nyilvánvalóvá teszi az 11 és 21 enyhén megváltozott pozícióját, de nem mutatja az 13 és 23 redukcióját. A szín meghatározását mindig dokumentáljuk a felhasznált színkulcs (itt VITA Classic) együttes fotóival (6. ábra). A páciens beleegyezését követi az 13, 11, 21, 23 fogak preparációja (7. ábra)
A preparálás során a cél lebeg szemünk előtt
A fogorvos számára folyamatos kihívást jelent, hogy lehetővé tegye az esztétikus fogtechnikai megvalósítást anélkül, hogy megnyitná a pulpát. Újra és újra csodálkozásra késztet, mennyire kis területen oldja meg a fogtechnikus a természetes fényhatások imitálását, az egyedi esetre vonatkoztatva. Esetünkben a szemfogak vesztibuláris felületének relatív erőteljes preparációja ellenére extrém vékony falvastagsággal kellett megoldani a restaurációt. A kismetszők harmonikus kialakításának érdekében monolitikus IPS e.max Press lítium-diszilikát koronák (Ivoclar Vivadent) készítése mellett döntöttünk az enyhén transzlucens LT változatból.
A preparálást követően a pácienst hazaengedtük az „új” ideiglenesekkel, az erőteljesen redukált szemfogakon és a javított nagymetszőkkel. A következő kezelésre már sokkal jobb hangulatban érkezett, mivel környezetétől pozitív visszajelzéseket kapott megjelenésének változására.
Az eredmény meggyőző
A következő ülésben próbáljuk meg a koronákat. A hölgy tükörben is ellenőrizte megjelenését, egyetértésének kifejezését követően beragasztottuk a koronákat (8. ábra), G-Cem duálkötésű, ön-adhezív ragasztócementtel (GC). Mivel már előre mindent nagyon pontosan megterveztünk, a koronákon nem volt szükséges változtatásokat

3. ábra: Szituációs mintákat készítettünk a tervezéshez, majd dublíroztuk azokat.

4. ábra: A másolaton megrajzoltuk, mely változtatásokat tervezünk, hol kell a fogtechnikusnak elvennie.

5. ábra: A viaszmintázat bemutatja a páciensnek, hogyan fog kinézni a kezelés után, és egyidejűleg szilárdan rögzíti a kezelés célját.

6. ábra: A fogszín meghatározása iskolázott szemet és sok tapasztalatot igényel.

7. ábra: Az 13-23 terjedő fogak preparációja után retrakciós fonalak kerülnek a szulkuszba, amelyek csillapítják a vérzést, és szabaddá teszik a preparációs határokat a lenyomatvételhez.

8. ábra: A teljes kerámiakoronák alapvetően megváltoztatják az optikai megjelenést: az 11 és 21 fogak koronai meghosszabbítása miatt a rések zárása után sem tűnnek túl szélesnek, a nagymetszők illeszkednek a szomszédos fogakhoz.

9. ábra: A kezelést megelőzően a két nagymetsző kiállt a fogívből a szemfogakhoz képest (okkluzális nézet).

10. ábra: A koronákkal sokkal harmonikusabb ívet zárnak az élek, mint a kiindulási helyzetben.
eszközölni. A fogív új harmóniája különösen szembeötlő okkluzális irányból, ha összehasonlítjuk a kiindulási helyzettel (9. ábra)
Az összkép tovább javítható lett volna az 14 és 24 fogak koronahosszabbításával, héjakkal, de a páciens ebbe már nem akart belemenni. Ezt a későbbiekben is megtehetjük. A páciens közvetlenül a beragasztást követően mosollyal mondott köszönetet, láthatóan megnövekedett önbecsüléssel. Három hét múlva következik a szükséges ellenőrzés, az értékeléssel (10. ábra)
Szilárdak
Páciensek kívánságaival kapcsolatban a fogtechnikus a kezelések kezdetén kiváló kezdeményező „moderátor” lehet, hiszen nem akar „direkt” módon eladni valamit. A kezelés további lefolyása során minden esetben szükséges – különösen itt, hiszen hölgy páciens

11. ábra: A beragasztás után három héttel ellenőrizve sikeresnek minősítettük a kezelést, a páciens önbizalma láthatóan megnőtt.
frontfogairól volt szó – a páciens beleegyezésének kimondatása, hiszen végül is ő fizeti a kezelést. Az esetleges kritikát a kezelőcsapat azonnal tudja fogadni, és megbeszéli a pácienssel az esetleg szükséges változtatásokat.

12–13. ábrák: Kiindulási helyzet: mindkét állcsont fogai erősen destruálódtak, tönkrementek. Hideg-meleg érzékenység a mindennapok része. A páciens egyre csak arrébb tolta a kezelés időpontját.
2. eset

anélkül, hogy az ott ismertetett kezelési tervek meg ygyőzték volna.
Az alig 30 éves páciens fogai különböző behatások miatt (bruxizmus, savak stb.) szinte teljesen tönkrementek. Ő is kitolta a feltétlenül szükséges fogorvosi beavatkozás határát egészen fájdalomtűrése küszöbéig. A csikorgatás és szorítás következtében fellépő anyagveszteség elsősorban a molárisokat „zománctalanította”, így napi jelenség volt a hőérzékenység (12–15. ábrák) . A kezelés megkezdése előtt már több másik praxist is felkeresett,
Átfogó tanácsadás kezelés előtt
Megfigyelésünk szerint a páciens személyes és munkakörnyezetének buzdító, nevelő iránymutatásai segítették elő döntését. A rendelőben a legkülönbözőbb indikációkhoz (frontfog-esztétika, teljes szanálás harapásemeléssel, kivehető, „all on six”, „all on 8” implantátumos megoldások stb.) állnak rendelkezésre digitális képalbumok, „hasonló esetek” bemutatásával, amelyek segítségével a tanácskozás esztétikai irányt vehet. A kezelés időtartamára, pénzügyi és időráfordítására vonatkozó korrekt információk elsőbbséget élveznek a megbeszélés során. Az autentikusság és az őszinteség hosszú távon biztosítják a továbbajánlást.


A
kezelési terv megbeszélése
A fogorvosi vizsgálatokat és a fog kemény- és
14–15. ábrák: Az ollómozgások, csikorgatás és szorítás nem csak a rágókat tette tönkre, hanem a frontfogakat is. Jól megfigyelhetők a lepattanások az éleken.

lágyszövet, valamint az állkapocsízület patológiai állapotfelmérését követően közösen állítottuk össze a kezelési tervet. Első beavatkozásként felső harapásemelő sín készítését és egyéniesítését javasoltuk, amely jelentős harapásemelést, az ízület tehermentesítését végzi, és előkészíti a teljes szanálást. A páciens nagyon jól viszonyul a sínhez, és a négyhetes hordási idő alatt olyan gyakran jön a rendelőbe, amennyire csak lehetséges.
Az eredmény meghatározása előre
16–17. ábrák: A szekciós mintákat koponyahelyesen artikuláltuk be, előkészítettük a csonkokat, helyfenntartó lakkal kentük be azokat.

A sínkezelés ideje alatt az általunk a laborban enyhén lecsiszolt fogú gipszmintákon teljes viaszmintázatot készítettünk, amelyet részletesen bemutattunk és elmagyaráztunk a páciensnek. A mintázatot dublíroztuk és másodmintákat készítettünk. A mintázat alapján készítendő ideiglenesekhez mélyhúzással fóliákat készítettünk ezekre a mintákra.
Kellő mennyiségű idő ráfor-
dítása a precíz előkészítésre
A preparáció két ülésben történt. Fontos, hogy a kezelőorvos legjobb napi formáját hozza. A kezelések időpontját kivéte-
lesen nem a páciens terminus-prioritásai határozták meg. A hosszú időn át megőrizhető eredmény érdekében „amenynyire csak lehet”, precízen kell eljárni, és minden páciens elfogadja, hogy ezt nem éppen 17.30 után lehet naponta megvalósítani.
A preparáció különlegessége, hogy 17-től 27-ig elektrotómiát kellett alkalmazni, mert a palatinális gingiva egy magasságban volt a palatinális csücskökkel, illetve azok maradványaival.
Orálisan csak kb. 1 mm-nyi anyagot kellett eltávolítani, hogy elegendő helyet nyerjünk a funkcionálisan terhelhető, esztétikailag igényes teljes kerámiakoronáknak.






Dolgozz velünk digitálisan !
Több mint 30 éves szakmai tapasztalat

Minden ami 3D nyomtatás
Az általunk vagy az Ön által tervezett vázakat, lemezeket 3D nyomtatással készítjük el ! Minőség, pontosság,
CoCr és Ti 3D nyomtatása
Teljeskörű support Precíziós utómunkálat







Minden ami virtuális tervezés
Küldje el a lenyomtatot akár intraoral scan formájában és mi megtervezzük illetve legyártjuk a kívánt fogpótlást !
cirkónium-dioxid, PEEK, lítium-diszilikát, PMMA, kompozit




Jó eredményhez jó előfeltételek
A laborban elkészítettük a szekciós és ellenőrző mintákat, arcíves és fém támasztócsapos regisztrátumok segítségével beartikuláltuk azokat, amelyeket a kezelőorvos készített. Az egyes csonkok szempontjából is kiváló volt a lenyomat, ami a csonkok számát figyelembe véve nem mindennapos eredmény, és a kezelőorvos hosszú évekre visszatekintő rutinjáról és anyagismeretéről is árulkodott.
A harapási magasságot 1 mmrel csökkentettük az artikulátorban ahhoz képest, mint amit a harapásemelő sínnel létrehoztunk. A páciens kellemesen lazító hatásúnak értékelte ezt a későbbiekben, a koronák beragasztása után. A csonkok kifűrészelését követően szabaddá tettük a csonkok preparációs határát, megrajzoltuk és rögzítettük azokat.
A cementréshez helyfenntartó lakkot hordtunk fel (16-17. ábrák)
Manuális
ügyesség fogkönyvtár helyett


18–19. ábrák: A fogtechnikus kézzel mintázza meg a koronákat, majd előkészíti a mintázatokat a préstechnikával történő kerámiamegvalósításhoz.
IPS e.max Press lítium-diszilikát kerámiakoronák készítése mellett döntöttünk, „multi” variációban. Ezek nem csak különlegesen stabilak, hanem a dentintől zománcig futó természetes színátmenetük a kívánt esztétikai hatást is megsokszorozza.
Laboratóriumunk gyártási lánca évtizedekre tekint vis zsza: izolálást követően mártóviasz sapkák készítése történik, pontosan 0,2 mm vastagságban. A preparációs határon túl érő részeket eltávolítjuk, a szélt mintázó viaszból alakítjuk ki, enyhén megvastagítva. A viaszsapkát a megvastagított szélig vékonyan bevonjuk Pattern Resin-nel (0,2 mm), hogy a törékeny viaszmintázatot stabilizáljuk a megmunkálások időtartamára.
Megmintázzuk az egyes koronákat a formai és funkcionális követelmények szerint, amelyek aztán a tapasztalt technikus kézjegyét hordozzák majd magukon, ahelyett, hogy egy szoftver tanácsolta könyvtárból húznánk elő azokat (18–19.
ábrák). Csak a mintázás befejezését követően vesszük le a koronákat a csonkokról, a szélek optimalizálása és a csapok felhelyezése érdekében. A megmintázott koronákat a kúpra helyezzük és beágyazzuk. Az előmelegítést és préselést követően a kibontást 110 mikronos alumínium-oxiddal segítjük, majd rövid savazás után (5 perc) újra lefújás következik.
A préselt testek levágása vízhűtés alatt történik.
Illeszkedés,
forma- és felületoptimalizálás
Normál esetben a koronák a helyfenntartó csonklakk réteg eltávolítása után csiszolás nélkül a csonkokra illeszthetők. Ha a beágyazás miatt apró buborékok volnának a koronák belső felületén, azok hamar eltávolíthatók. Az illeszkedési pontosságot kötelező sztereomikroszkóppal ellenőrizni. Lecsiszoljuk a préscsatornák maradékát, ellenőrizzük az approximális és okklúziós érintkezési pontokat, és speciális szilikonko-
Developing pain-free dentistry around the world Simple.
Specialists in dental anaesthetics
Specialists in dental anaesthetics
Developing pain-free dentistry around the world Simple. Smart. Solutions.















































ronggal illesztjük a széleket. A tökéletesen megmintázott barázdák nem igényelnek utólagos csiszolást. A felületi textúrát szokott módon alakítjuk ki, és minden koronát ellenőrzünk a vágatlan mestermintán is, optimalizálva az érintkezést.
Ezt követi a glazúrégetés festékekkel és színekkel – a kívánt fogszín és effektusok szerint. Végül habkőporral és filckoronggal polírozzuk a koronákat (20–21. ábrák). Tisztítás után újra a vágatlan mintára kerülnek. Adott esetben tovább finomíthatók az érintkezések szilikonpolírozóval.
Jó előkészítés –minimális becsiszolás
Érzéstelenítve ragasztjuk be a koronákat G-Cem (GC Corporation) segítségével, egyesével a frontés rágóterületen. Először lazán felhelyezzük a frontkoronákat, és megmutatjuk a páciensnek a nagy tükörben, hogy láthassa az ideiglenes és végleges pótlás egyezőségét. Csak pozitív visszajelzését követően ragasztjuk be véglegesen a koronákat. Ebben a lépésben elengedhetetlen a professzionális asszisztencia jelenléte, de a fogtechnikusé is kívánatos, hogy megakadályozzuk az eltéréseket (elfordulás, nem megfelelő sorrend stb.). A tökéletes illesztéshez a laboratóriumban előzetesen elkészített műanyag kulcsokat használunk, amelyeket mellékeltek a 20–21. ábrák: A koronákat kidolgozást követően nem rétegezzük, hanem festjük, karakterizáljuk, majd glazúr-égetjük és habkőporral manuálisan polírozzuk.


22–23. ábrák: Annak ellenőrzésére, ugyanúgy helyezkednek-e el a szájban a koronák, mint a mintán, a fogtechnikus a laborban előzetesen műanyag pozicionáló kulcsokat készít a behelyezéshez.



A-dec 500
Prémium kategóriás alsó/felső karos kezelőegység

DELUXE vezérlés, 8+4 LED páciens lámpa, NSK NLZ LED-es mikromotor

2003 ÓTA FOLYAMATOSAN ELNYERTE A LEGJOBB KEZELŐEGYSÉG FŐDÍJAT
5 É V
Csak az a gyártó ad 5 év garanciát a termékére, aki biztos a gyártmánya minőségében
www.a-dec.com/virtual-tour

A-dec/NSK elektromos, nyomaték szabályozott LED-es, ENDO funkciós mikromotor, rpm 100-40000



Az A-dec kezelőegységek szervizeléséhez a vételár mindössze átlagosan 1,97%-át teszi ki az évente vásárolt alkatrész. Ebben az A-dec páratlan.



A-dec 230
Felsőkaros kezelőegység, DELUXE vezérlés, 8+4 LED vagy 4 LED páciens lámpa, NSK NLZ LED-es mikromotor
A-dec 200
Kompakt alsókaros kezelőegység DELUXE vezérlés, 8+4 LED vagy 4 LED páciens lámpa, NSK NLZ LED-es mikromotor



GARANCIA

24. ábra: A tervezésre fordított idő kifizetődött. A préstechnológiai megvalósítás az egyedi kézműves módszer mellett magasabb széli pontosságot és hosszabb távú élettartamot garantál.

25. ábra: A felső front oldalfelvétele bizonyítja, hogy a préstechnika nem korlátozza mozgásterünket esztétikai szempontból sem.
munkához (22–23. ábrák). Ha jól dolgozott a csapat, szükségszerűen pozitív lesz a harapás ellenőrzése a szájban, így semmilyen, vagy csak minimális becsiszolás szükséges. Az okklúziót soha nem a próbánál ellenőrizzük és korrigáljuk, mindig csak a végleges beragasztás után. A 24. és 25. ábrák a restaurációt a cementezést követően mutatják.
Kitartunk
A legtöbb időt az előzetes tervezésre és a fogorvosi-fogtechnikai kivitelezésre kell fordítani, a végső ellenőrzés így gyakorlatilag „feleslegessé” válik. A megemelkedett időráfordítás és folyamatos szakmai követés miatt ajánljuk, hogy más, hasonló privát eljárások módszerei szerint számoljanak, és ne alkalmazzanak a fogászati szereplők által gyakran hirdetett „különleges engedményeket”.
A bemutatott eset kapcsán a páciens döntése szempontjából a „hasonló esetek” (anekdota-referencia) fotóinak bemutatása bizonyult a legfontosabb tényezőnek a kezelés kezdetén. Mindig meg kell kérdeznünk magunktól: bízik a páciens a fogorvos-fogtechnikus duóban és az eset megoldásában? Elegendő időt fordítottunk rá? Végül is komplett (rágó-) szerv restaurációjáról van szó. Az ilyen sikerek a humán medicina egészében, a sebészetben, a belgyógyászatban még a legjobb együttműködés mellett is ritkák. Mint a bemutatott esetben is, évek óta alkalmazzuk az IPS e.max Press monolit variációját, precizitás, esztétika és hosszú élettartam szempontjából is a legjobb eredménnyel. Lehetőséget nyújt számunkra kézműves munka elvégzésére anélkül, hogy a személytelen digitális támogatásra kellene támaszkodnunk, amit gyakran elfelejtünk az apró részletek kialakítása során. Ráadásul a préstechnika előnyeinek élvezetét is nyújtja a frézelt restaurációkkal szemben.
Forrás: Das Dental Labor 2019/2-3

Személyre szabott árai a webshopunkon!


8 db (tetszőleges színű*) REALFILL LC BASIC univerzális mikrohibrid kompozit vásárlása esetén 1 db REALBOND SELF ETCH önsavazó ragasztóanyag ajándék ( Br 16 622 Ft,- értékben )
Br. 55.400 Ft,-
*Választható színek: A1, A2, A3, A3 5, A4, B1, B3, C2, C3, D3, OA2, OA3

AKCIÓ


3 db (tetszőleges színű*) REALFILL LC BASIC univerzális mikrohibrid kompozit vásárlása esetén 1 db REALFILL LC BASIC FLOW folyékony kompozit tömőanyag ajándék ( A3 színben, Br 6 129 Ft,- értékben )
Br. 20.775 Ft,-

Szekcionált matricakészlet a tökéletes kontaktpont kialakításához
MyQuickmat Forte Starter Kit MOST ajándék utántöltőkkel! 75% megtakarítás!

Az ajándék utántöltők 6 pár myTines Small és 6 pár myTines Medium adaptációs szorítókat tartalmaznak


Az akciók a webshopban történő megrendelésekre érvényesek. Az akciós árak 2024. augusztus 31.-ig , illetve a készlet erejéig érvényesek. Személyre szabott akciós áraiért jelentkezzen be weboldalunkon!
Massimiliano Accioli (Olaszország)
FUNKCIÓ ÉS ESZTÉTIKA TORONTO-HÍDDAL
Massimiliano Accioli csavarrögzítéses implantátumhíd – Toronto-híd – előnyeit mutatja be cikkében.
Pácienseseten keresztül mutatja be eljárása lépéseit és anyagválasztását.


Implantátumokkal és Toronto-híddal történő helyreállítás igen jó terápiai opció [1,2,3] (1. és 2. képek). A magasabb esztétikai hatás érdekében a bemutatott esetben a hiányzó gingiva-részt [4] rózsaszínű kompozittal [5] egészítettük ki. Mivel a kompozit esztétikailag kevésbé hatásos, mint a kerámia, a koronákat [7] kerámiából készítettük. A jó biokompatibilitás [8], kopásállóság [9] és esztétika érdekében lítium-diszilikátot használtunk. A magas, közepes és csekély transzlucenciájú, magas és közepes opaleszcenciájú alapanyagokon kívül létezik polikróm nyerstömb is lítium-diszilikátból (IPS.e.max Press Multi, Ivoclar Vivadent). Természetes színátmenete a dentintől élig nagyon magas esztétikai követelményeknek is megfelel. Cikkemben bemutatom a monolit lítium-diszilikát hatékony alkalmazását implantátum elhorgonyzású Toronto-híd készítése során, kompozit műíny kialakítással.
Anyagok és eljárás
A tervezés során az 13-22 régióban hiányzó csont kiegészítését mintán, teljes viaszmintázat kialakításával analizáltuk. Az implantátumok vesztibuláris irányú dőlésén kívül a horizontális viszonyokban is egyenetlenségek mutatkoztak, a középvonaltól jobbra kevesebb hely maradt a nagymetszőnek, mint balra (3. ábra). Ennek kiegyenlítésére két lehetőség mutatkozik: A középvonal balra tolása, ami azonban negatívan befolyásolja az
esztétikai megjelenést, vagy az 13-as vesztibuláris elfordítása, hogy megmaradjon az arcközép szimmetriája a középvonalon, és a fogak tömegeloszlása egyenletesnek hasson. Ez a megoldás elegendő helyet biztosít az 12 és 11 fogaknak, a középvonal elcsúsztatása nélkül. A 22 és 23 közötti érintkezést a későbbiekben a 23-ra készített töméssel lehet létrehozni. A szájba próbálást megkönnyítendő a viaszmintázatot lemásoltuk, és műanyagból is elkészítettük (4–5. ábra). Műanyag segéd-felépítményekkel a mintán segítettünk a kezelőorvosnak a végleges felépítmények kiválasztásában. Ebben az esetben két, csavarrögzítéses megoldáshoz való Exacone 3600 standard fejet (Leone, Sesto Fiorentino, Olaszország) használtunk, 150-os dőléssel, 1,5 mm-es nyakmagassággal. A kezelőorvos becsavarozta a fejeket és a transzfereket. A mestermintán szilikonblokk segítségével reprodukáltuk mintázó műanyagból a viaszmintázatot (8–9. ábrák)
48 órás keményedést követően 0,2 mm-es szeparálóval elvágtuk a műanyag mintázatot, újra hagytuk 24 órát kötni az anyagot, megint összefogtuk, majd még egyszer

2. ábra: Az első mesterminta az eset értékelésére
3. ábra: A csavarok jól szemléltetik az implantátumok dőlését.
1. ábra: Kiindulási helyzet

ábra: Diagnosztikus műanyag mintázat.

ábra: A végleges, szögtört felépítmények.

8. ábra: A mesterminta az analógokkal, amelyek szimulálják a szájban rögzített felépítményeket, ezekre helyezett kiégethető műanyag sapkákkal, amelyekre a mintázat rétegezhető.

ábra: A jobb oldalmozgás profilja
ellenőriztük az esztétikát és funkciót (10–13. ábrák). A szilikonblokk segítségével a viaszmintázatot – ellenőrzötten –vázmintázattá redukáltuk. Elegendő helyet kell biztosítani a koronáknak és a műínynek (14–17. ábrák)

A mintázat próbája.

Párhuzamosítva, transzferekkel.

9. ábra: A mintázat kiégethető műanyagból reprodukálva, fehérre színezve a próbához

oldalmozgás profilja
A vázat megöntöttük, majd a felpasszítást követően ellenőriztük illeszkedését (18. ábra). Időközben a kezelőorvos az Ivoclar Vivadent színkulcsa segítségével meghatározta a műíny alkalmazandó színét (19. kép). 3 bar nyomáson lefújtuk 90 mikronos aluoxiddal a vázat, (20–21. képek), majd először SR Link (Ivoclar Vivadent) anyagot vittünk fel. Ezután A2, valamint rózsaszínű SR Nexco opákert rétegeztünk fedve a felszíneket (22. ábra). A koronák kész viaszmintázatát (23–
5. ábra:
7. ábra:
11. ábra: A bal
4.
6.
10.








13. ábra: A funkció és esztétika ellenőrzése.
12. ábra: Kész a próbára
15. ábra: A leplezéshez szükséges hely ellenőrzése.
17. ábra: Felcsapozott váz.
19. ábra: Az íny színének meghatározása Ivoclar színkulccsal.
14. ábra: Redukálás a vázhoz.
16. ábra: A váz, öntésre kész
18. ábra: A váz a mestermintán.






26. ábrák) IPS Press Vest Speed (Ivoclar Vivadent) anyaggal ágyaztuk be, 8500 C-ra előmelegítettük, egy órát itt tartottuk, majd elvégeztük a préselést polikróm lítium-diszilikáttal (IPS e.max Press Multi A2, Ivoclar Vivadent). Az egyenletes színátmenet biztosításának érdekében a nagymetszőket egy, majd a maradék fogakat egy másik nyerstömbből pré-


seltük (27–28. ábrák). A kihűlést követően a beágyazót 4 bar nyomással üveggyönggyel fújtuk le az objektumról, amit aztán 15 percre IPS e.max Invex folyadékba helyeztünk. Ez eltávolítja a reakciós réteget. Újbóli lefújás következett 2 bar nyomással (29–30. ábrák). Kidolgozást és passzítást követően a koronákat az új IPS Ivocolor
ed Essence festékekkel
Shade
21. ábra: Felületkezelés SR Link anyaggal.
23. ábra: Maradék nélkül kiégő műanyag sapkák.
25. ábra: A diagnosztikus mintázat másolata viaszból.
27. ábra: Előkészítve préselésre.
20. ábra: Kidolgozva és lefújva.
22. ábra: Opákerezés SR Nexco A2 és rózsaszínű opákerrel.
24. ábra: Levétel az ellenőrzéshez.
26. ábra: A koronák végleges mintázata.

A nagymetszők pontos pozicionálása a préseléshez.

ábra: A lefújt koronák a reakciós réteggel.

32. ábra: A kész koronák vesztibuláris…

34. ábra: A vázon, a gingiva mintázásához előkészítve.
festettük. Minden cirkon- és Ivoclar kerámiához alkalmazhatók. Ezüstszínű fedőlakkal ellenőrizzük a koronák formáját és felületkialakítását (31.kép). Ezt követi alacsony hőfokon a fényégetés, IPS Ivocolor Glaze Power FLUO anyaggal. Ez a glazúrmassza az összes Ivoclar kerámiához használható. Nem változtatja meg a koronák formáját és felületi struktúráját (32–34. ábrák)




A műínyt szabad kézzel, különböző színű kompozit masszákkal (SR Nexco Gingiva, Ivoclar Vivadent) rétegeztük, a lehető legjobb megközelítést megcélozva a páciens ínyének színeihez (35–39. ábrák). A 40–43. ábrák mutatják be az eredményt a mintán. A plakk lerakódásának megakadályozására és a napi tisztíthatóság megkönnyítésére (valamint az implantátumok körüli komplikációk elkerülésére) magas fényre políroztuk a műínyi részt.
29. ábra: Lefújással „bontunk ki”.
31. ábra: A koronák a mintán ezüst fedőlakkal.
35. ábra: Az Ivocla SR Nexco Gingiva kompozitkészlete.
33. ábra: …és palatinális képe.
28. ábra:
30.








36. ábra: SR Nexco Gingiva kompozitanyag.
38. ábra: A leplezett műíny.
42–43. ábra: …a mintán.
40–41. ábra: A kész munka…
37. ábra: A gingivamassza felhordása.
39. ábra: A leplezés színtérképe.



46. ábra: Harmonikus összkép.
Megvitatás
A kompozitot széles íny-szín skálája miatt választottuk. Így lehetséges volt a lágyszövet egyedi reprodukciója. A lítium-diszilikát alapú üvegkerámia lehetővé teszi a hiányzó fogak funkciójának esztétikus helyreállítását. Az IPS e.max Press Multi nyerstömbök természetes hatásúak, és optimális mechanikai viselkedést biztosítanak [9]. Az Ivoclar által kifejlesztett, a páciensek esztétikai igényeinek megfelelő anyagoknak köszönhetően lehetséges a dentin és él egyidejű préselése, a transzlucencia és az esztétika javítása. A szájbéli próbát és ellenőrzést követően a koronákat, amelyeket nem csavaroztunk, adhe-
zíven rögzítették. A felületeket IPS kerámiasavval kezelték előtte, majd Monobond S-szel szilanizálták (44. ábra). A beragasztás Multilink Hybrid Implant Ho anyaggal történt. Már létezik olyan egykomponensű kerámia primer anyag, amely egy lépésben savaz és szilanizál is. A csavarrögzítéses részekre ideiglenes cementtel rögzítették a koronákat (45–46. ábrák)
Összefoglalás
A monolit lítium-diszilikát üvegkerámia és a rétegzett kompozitok kiváló anyagok implantátum elhorgonyzású Toronto-híddal végzett helyreállításra. Ezért szeretem a munkámat – új anyagokkal dolgozhatok, soha nem kell abbahagynom tudásom körének bővítését, és olyan emberekkel találkozhatom, akik újra képesek spontán mosolyra, így javul életminőségük.
Forrás: Das Dental Labor 2020/6
44. ábra: A savazott koronák.
45. ábra: A superfloss átvezethető.
Legyen Ön is a VIP Dental
CBCT és Röntgen Központ partnere!
Szeretne folyamatos, kiszámítható és tervezhető, passzív bevételre szert tenni?

Mit nyújtunk?
Közel 20 éves szakmai tapasztalatot a fogászat, mind a fül-orr-gégészet területén.
Legmodernebb, digitális rendszerű csúcstechnológiás gépekkel a legmagasabb minőségű tűéles felvételeket.
Páciensközpontú szemléletünknek köszönhetően gyors és precíz ügyintézést, az ország 4 frekventált helyén lévő centrumainkban. (4,8 google értékelés több, mint 1000 páciens visszajelzése alapján)
Negyedéves legális pénz visszafizetést a páciens forgalom után, vagy bónuszpontokat, amit beválthat bármilyen fogászati eszközre amire csak szüksége van!
Folyamatos CBCT képzéseket!
Orvoslátogatóink bármikor felkeresik Önt, amennyiben gondjuk lenne.
4,8-as átlag
Mit jelent ez nekünk?
Örömünkre szolgál, hogy folyamatosan Önnel együtt fejlődhetünk és kamatoztathatjuk szakmai tudásunkat.
Amennyiben felkeltettük érdeklődésüket, és szeretnének partnerünkké válni, vagy már partnerünk, de nincs még szerződése, kérem keressen engem bizalommal az alábbi elérhetőségemen: iroda@vipdental.hu
Tisztelettel
Vékony Tibor ügyvezető
Dr. Révay András
NEM CSAK JÓT, JÓL IS KELL HARAPNI!
Beszélgető partnerem dr. Fehér Tibor fogorvos, egy többgenerációs fogászdinasztia tagja. Nagyapja, Weisz Zsigmond fogtechnikus, a Fogtechnika Szemle főszerkesztője, korának elismert szaktekintélye, az 1935-ben megjelent „A fogászat kérdésekben és feleletekben” című könyv szerzője. Édesapja, Fehér István fogász, fia dr. Laukó Péter fogorvos. Beszélgetésünk középpontjában nem a szakma iránti hűség, a generációkon át felhalmozódott tudás áll, hanem az, hogy Fehér doktor korábbi három könyve után egy digitális könyvet jelentet meg „Fiatalítás fogászati kezeléssel“ címmel, amely a Dental Press Kiadónál rendelhető meg.
Sokszor mondják, hogy valaki harapós kedvében van, és ez ilyenkor egyértelműen rosszat jelent. Az viszont már kevésbé ismert, hogy létezik jó és rossz harapás. Dr. Fehér Tibor a fogorvostudomány egyik különleges területén dolgozik: gnatológus. Mit jelent ez a szó, és mi a különbség a jó és a rossz harapás között?
A gnatológia rágástant jelent, ennek dacára mégsem a rágással, hanem eredetileg a sokféle harapással foglalkozott, arra keresett megoldást. Ám a 60-as évek közepén paradigmaváltás történt, és a klasszikus irányt egy másik váltotta fel – emlékezett vissza a kezdetekre dr. Fehér Tibor. Azóta a sokféle harapás nem téma. Amiről nem beszélünk, az nincs is. És pont ez a gond!

A fogak rágófelszínétől, azaz a harapástól függ az állkapocsízületi fejek helyzete a harapáskor. A rágóizmok harmonikus működésének feltétele az ízületi fejek központi helyzete a harapásban, azaz a centrális okklúzió. A harapás az ízületi fejet hibás helyzetbe kényszerítheti. A szervezetünk egyik fontos működése az öngyógyítás. Az öngyógyítás lényege az egyensúlyra való törekvés, amit a rágóizomzat tipikusan alvás során akaratlanul végez. Amenynyiben a harapás az ízületi fej hibás helyzetét okozza, a rágóizomzat igyekszik azt korrigálni. Ez a bruxizmusban, az éjszakai fogszorításban, fogcsikorgatásban nyilvánul meg. A rágóizmok az állkapocs helyzetét korrigálják ahelyett, hogy ellazulnának. Hosszú időn keresztül hatalmas erővel dörzsölik a fogakat, az útjukban levő akadályokat letördelik, megváltoztatják a fogak helyzetét, meghajlítják a fogakat, hogy ezáltal úgynevezett kiegyensúlyozott harapást hozzanak létre, ami „rendezheti” az izomműködést, izomlazuláshoz vezethet.
A jó harapás nem hívja föl magára a figyelmet. Csakúgy, mint bármelyik szervünk, ha jól működik, a létezéséről nem veszünk tudomást. Akkor kezdünk figyelni, hogy valami nincs rendben, ha például kattog az ízület vagy a fogak kopnak, vándorolnak, fogágybetegség alakul ki, de vannak az általános állapotban megjelenő más jelek is. A páciensek nem
is sejtik, hogy bizonyos tünetekről a fogorvosnál kellene panaszkodni. A rágószerv hibás működésére visszavezethető tünetek széles skálája ismert: szédülés, fülcsengés, fülzúgás, migrén, fejfájás, trigeminus neuralgia, nyak-, gerinc-, váll- vagy karfájdalom, tartási rendellenességek stb. A probléma megértéséhez tudni kell, hogy nem lehet egy időben nyelni és levegőt venni, mivel a légcső és a nyelőcső közül csak az egyik van nyitva. Nyelésnél a légútnak elzáródni, a nyelőcsőnek kinyílni kell. A harapás létrejöttének feladata, biztos alapot adni a gége felfelé és előremozgatásához, hogy ezáltal lezáruljon a légút és kinyíljon a nyelőcső. A fogak záródása akaratlanul az üres szájjal történő nyelés velejárója. Nyálunkat a nap folyamán átlagosan ezerszer, alvás során mintegy huszonötször nyeljük le. Fiziológiásan az izmok körülbelül egy másodperc alatt ellazulnak, ettől az állkapocs visszatér nyugalmi helyzetébe, kinyílik a száj, kinyílik a légút, elzáródik a nyelőcső.
Alvás alatt történő nyelésnél, rossz harapás esetén a bruxizmus tartama alatt zárva marad a légút. A következményes fulladás ellen a szervezet egy mikroébredés során történő hirtelen levegővétellel védekezik. Ennek tipikusan alvászavar és reggeli fáradt ébredés a következménye.
A rágóizomzat görcsös működésének hatása van a többi vázizom működésére is. Emiatt sokféle tünetet okozhat. Az általános állapotban előforduló tünetek között nincs egyetlen olyan sem, amely kizárólag a rágószerv működési zavarára lenne jellemző. Fellépésüknek számtalan más oka is lehet. Ezért nehéz megmondani, hogy melyekkel érdemes fogorvoshoz fordulni, de az biztos, hogy az ízület kattogása, az ízületi porc kiszorulása az ízületi hiba első feltűnő jele. (A hangjelenséget a vákuum megszűnte okozza, mint amikor az ujjperceket széthúzzuk). Ha a porckorong kiszorul az ízületi komponensek közül, az ízületi fej úgy működik, mint egy csapágyas tengely. A diagnózis felállításához az állkapocsízület vizsgálata (mechanikai axiográfiás vizsgálat) és/ vagy a harapás műszeres vizsgálata szükséges.


A harapás minősége velünk született vagy az évek során változhat?
Változhat. A kutatók felfigyeltek arra, hogy az elmúlt néhány száz év alatt az állcsont mérete jelentősen csökkent. A konyhatechnika fejlődése okán leszoktunk az erőteljes rágásról, puha ételeket fogyasztunk. Ez azt eredményezte, hogy az állcsontok kisebbek lettek, a bölcsességfogaknak már nincs elég helye. Az összes fogat kissé elnyomják, a fogak rágófelszínének változása miatt az állkapocsízületi fej pozíciója változik. A bruxizmus oka nem a stressz, hanem az ízületi fej kényszerhelyzete. Tény viszont, hogy a stressz is negatívan befolyásolja a rágóizomzat működését. Az ízületi fej kényszerhelyzetének okai lehetnek – mint említettem – az állcsontok méretének redukciója miatti helyszűke; fogpótlás készítésénél a felpuhított viaszba haraptatás sikertelensége; fogszabályozó kezelés sikertelensége; elongált fog.
A fogorvos hogyan tud ezeken a gondokon segíteni?
Az állkapocsízület kezelése a harapásemelésről szól. A harapásemelés célja a beteg ízületi komponensek széthúzása. A harapás rendezésével az állkapocsízület rendezését érhetjük el, ami által a bruxizmus leállítható, ettől megszűnnek a tünetek. Galileinek tulajdonított mondás: „Mérd meg, amit meg tudsz, és tedd mérhetővé, amit nem!” Egyik találmányom mérhetővé tenni a harapást, melyet a helyes ízületi pozícióból vezetek le. A harapásmérés célja a rágóizomzat működési zavarának (craniomandibuláris diszfunkció) gyógyítása és/ vagy megelőzése. Az általam kidolgozott CENTROCC-módszer nagy előnye, hogy az ízületi fejek központi helyzetének kiszerkesztéséhez nem kell ismerni az ízületi fejek habituális helyzetét, a páciens tüneteit, a rágóizmok tapintásának eredményét.
A CENTROCC-módszer további előnye, hogy nem kell időrabló és sokszor a páciens számára kellemetlen vizsgálatot végezni.
A kapott eredménynek megfelelően készíttetek kemény műanyagból egy sínt, amelynek rágófelszíne az ízületi fejek helyes pozícióját biztosítja. Lefekvés előtt a páciens beteszi szájába a sínt, reggel én veszem ki, és a sínpozíciót átmásolom a fogakra, hogy ne a sín, hanem a fogak biztosítsák a helyes ízületi pozíciót. Szerencsés esetben három ilyen korrekcióval elérhető az állkapocsízület rendezése. Egyes
esetekben a kezelés elhúzódik. Ilyenkor évente legfeljebb öt-hatszor találkozunk mindaddig, amíg az axiográfiás vizsgálat nem jelzi, hogy az ízületek rendben vannak, azaz a porckorongot visszahelyeztük az ízületi fej alá. A fogpótlásokat is a bemért harapás alapján készíttetem.
Ettől kezdve ez már kitart élete végéig?
Amennyiben a fogak rágófelszínén változás nem történik, igen. A fogak maguktól nem mennek tönkre.
Ilyen, sok tekintetben teljesen új ismeret birtokában nem volna jó ezeket továbbképzéseken közreadni?
Azóta, hogy 1993-ban hazajöttem Németországból, rendszeresen tartottam kurzusokat fogorvosok számára. Sokakat sikerült „megfertőznöm” ezzel az elmélettel és gyakorlattal. Az új könyvemben pedig még sokkal többről van szó. Persze nem okoz feltétlen örömöt a kollégáknak, amikor kiderül, hogy eddigi munkájukban van olyan, ami nem jó. Ki szeret azzal szembesülni, hogy minden jó szándéka ellenére esetleg bajt okozhat?
Eljutottunk a bevezetőben már említett könyvhöz.
Munkánk eredményét annak alapján kell értékelni, hogy a fogak állása mennyire járul hozzá az arc harmóniájához, és a fogak rágófelszíne biztosítja-e a helyes ízületi pozíciókat.
Az új könyvemben a fiatalítás ezen két értelmezését írom le. Az egyik a funkcionális, ugyanis ha az izomzat lazán, harmonikusan dolgozik, akkor az meg is látszik a páciensen. A könyvben megtalálható a CENTROCC-módszer részletes leírása. Az elnevezést a centrális occlusio szavak összevonásából keletkeztettem, a kifejezés jelentése, hogy a harapás során az állkapocsízületi fejek az ideális helyzetben vannak.
Ez az állapot sajnos a lakosságnak csak elenyészően kis részére igaz. Ennek a mérését is leírom.
Az esztétikai részt szintén fontosnak tartom a fiatalítás szempontjából. Ízlésről nehéz vitatkozni, hiszen kinek ez tetszik, kinek pedig az, és ez így van jól. Fontos azonban, hogy meg tudjuk különböztetni a természetellenes (hamis, művi) fogazatot a természetestől. A szép fogazat természetes hatású.
Fehér Tibor




A könyvemben a gyakorló fogorvosnak adok hasznosítható tanácsokat.
Digitális könyvem nem egy hagyományos könyv, kézbe venni nem lehet, viszont telefonra, számítógépre letölthető. Azt szeretném, hogy segítséget nyújtson a praktizáló fogorvos mindennapi munkája során. A könyv „önmagában” még nem teszi az orvost képessé a kezelés elvégzésére. A harapás regisztrálásához szükséges eszközök bemutatása és azok elérhetősége szintén szerepel a könyvben, mely valójában felér egy továbbképzéssel. Igyekszem mindent elmagyarázni, és fotókkal, videókkal bemutatni a gyakorlatot. Akik igénylik, azoknak egy videókonferencia keretében természetesen szívesen segítek – fejezte be a beszélgetést dr. Fehér Tibor.
Dr.
ERŐS FOGAK ÉS EGÉSZSÉGES
SZÁJ – MEGGYŐZŐ MOSOLY
A száj és a fogak nemcsak a táplálkozás és az emberi kommunikáció fontos részei, de esztétikai szempontból is jelentős szerepük van. Az egészséges fogak és fogíny egészségünk meghatározó elemei, a hibátlan, derűs mosoly pedig minden egyén kívánsága.

Nem csak a fogak fájnak
Az íny leggyakoribb gyulladásos megbetegedése a gingvitis vagy fogínygyulladás, mely legtöbbször a rossz szájhigiénia következményeként jön létre. A begyulladt és vérző fogíny a rossz lehelet mellett a betegség első jele. A gingvitist tehát gyógyítani kell, mert különben a gyulladás előrehaladott állapotában a gyulladt íny gócként szerepel, mely gócbetegségeket okozhat.
Az egészséges ember szájában folyamatosan jelen vannak mikroorganizmusok, amelyek szaporodása az íny gyulladásához vezet, és idővel a fogágy többi része is érintett lesz, paradontitis jelentkezhet. A tasakok mélyebbek lesznek, ezért a gyulladás ráterjed a mélyebb paradontális szövetekre is. A fogágygyulladás következtében a fogakat rögzítő szövetek elbomlanak, a betegség pedig átterjedhet az állkapocs csontszövetére is. Ennek együttes következménye, hogy a fog tartószerkezete meggyengül, elbomlik, így a fogak meglazulnak, majd kihullanak.
A hialuronsav a fogágy kötő- szövetének fontos kompo- nense
A hialuronsav a szervezet természetes anyaga és az egészséges fogíny fontos komponense. Alkalmazása a fogászatban: – csökkenti a szájnyálkahártya-irritációt
– megvéd a fertőzésektől
– felgyorsítja a sebgyógyulást és szövetregenerációt
– csökkenti a fogínyvérzést, a foggyulladást és a duzzanatot
A kutatások kimutatják, hogy a hialuronsav fogászati alkalmazása jelentős mértékben hozzájárul az ínybetegségek megakadályozásában és gyógyításában.
Ínybetegségek megelőzése és gyógyítása
hialuronsavval
A gyógyszertárakban és speciális üzletekben különböző formákban és kiszerelésben már 3 éve kapható a Gengigel, ami az egyedüli hialuronsav-alapú készítmény.
A termékcsalád használata egyszerű, gyermekek, terhes nők és cukorbetegek egyaránt használhatják. A hialuronsav tartalma miatt hatékony megoldás az alábbiakra:
– ínyvérzés
– gingivitis (fogínygyulladás)
– parodontitis (fogágybetegség)
– megsértett íny (sebészeti beavatkozás, foghúzás, fogpótlás után)
– korona, híd, fogprotézisek miatt irritált szájnyálkahártya
Ezen tulajdonságai alapján bátran állíthatjuk, hogy a Gengigel az egészséges fogíny receptje. (X)
Forrás: Medis sajtóanyag

Hialuronsav
Az egészséges fogíny receptje Az egészséges fogíny receptje
Az egész csalàd számára





gél/szájöblögető oldat/szájspray/baby gél

nagyi protézis által irritált íny, fogágygyulladás
anyu ínyvérzés és afták





csillapítja a vérzést elősegíti a sebgyógyulást a szájüregben elősegíti a szövetregenerációt csökkenti a duzzanatokat védi a szájnyálkahártyát a fertőzésektől

jani sérült íny
misike a fogzás időszakában








Dent-East Kft. 1112 Budapest, Rétkerülő út 51 www.dent-east.com • mail@dent-east.com





Tel.: +36 1 328 0427
Fax: +36 1 348 0428 E-mail: info@sgs-dental.com www.sgs-dental.com







PRIMA
AUTOKLÁV Új olasz fejlesztés megbízhatóság, egyszeru ” kezelés, letisztult dizájn

1077 Bp., Rózsa utca 29. www.modent.hu, info@modent.hu
Loupes and lights

06-20-366-10-80 www.lezerszinter.hu
kocka hogy ne ragadjon a műszere a kompozithoz!


BUILD YOUR DREAM LOUPE


Dr. Volom Dental 1067 Budapest Podmaniczky u. 39. Tel.: +36 1 311 65 84 www.drvolomdental.hu








opron, Faller Jenő u .:+36 99/508-698 ax: +36 99/508-696 .hu



Fogászati kereskedelem
• AMPRI: színes e.h. eszközök;
• Anger: matricák, ideiglenes koronák, fényvezető ék;
• ASA: műszerek, egyszer használatos eszközök;
• BISCO: cementek, bondok, kerámiajavító;
• FKG: endodonciai eszközök;
• DTS: színes műanyag lenyomatkanalak;
• NEOLIX: gépi gyökérkezelő tűk;
• OLIDENT: tömőanyagok, sav, bond;
• ORO CLEAN: fertőtlenítőszerek;
• PROMEDICA: cementek, tömőanyagok, alábélelők;
• SCORPION: scaler végződések, implant tisztításhoz is;
• SHOFU: cementek, tömőanyagok, csiszolók;

1135 Budapest, Frangepán u. 66/B. +36 1 236 4000 | info@newyorkdental.hu www.newyorkdental.hu Közvetlenül az importőrtől:
• SS White: koronafelvágó, karbid- és gyémántfúrók;
• TIDI: védőmaszkok;
• WHITEWASH: fogkrém, fogkefe;
• ZHERMACK: A- és C-szilikon, alginát lenyomatanyagok.
HERBODENT Kft.
✉ 1025 Bp., Szépvölgyi út 52. % 325-7129 %/fax 325-7220, mobil: 30/203-6957, 30/241-5737 e-mail: herbodent@herbodent.hu, www.herbodent.hu


