
7 minute read
Egy hibrid minden esethez
Philipp Silber, Elmar Beckmann (Németország)
EGY HIBRID MINDEN ESETHEZ
Advertisement
A cirkónium-dioxidok választéka folyamatosan nő. A széles paletta belső határait nehéz megtalálni. A dentona új, optimill Multilayer 3D tömbjével el akar határolódni másoktól. A szerzőpáros e szokatlan cirkónium-dioxid előnyeit mutatja be.
A TELJES KERÁMIA TERÜLETÉN alkalmazható anyagok széles választéka nagy választási szabadságot biztosít a protetikai csapatnak. Az indikációra és a páciens kívánságaira koncentrálva választható ki a legjobban illeszkedő kerámiaanyag. Üvegkerámia vagy cirkónium-dioxid, természetes transzlucencia vagy nagy szilárdság, monolitikus vagy leplezett – teljesen eltérő opciók is lehetségesek. A sokszínűség gyönyörködtet. A nagy választék azonban azt is jelenti, hogy valamivel szemben, vagy mellett kell döntenünk. A teljes kerámia területén általában szembenálló kritériumok a szilárdság és az esztétika.
Teljes kerámia választási szabadsága?
1. ábra: Az új 3D cirkónium-dioxid a frézgépben.


Nagy szilárdságú anyagokkal (pl. a hagyományos cirkónium-dioxid) még többtagú, erősen terhelt rágóterületi hidakat is elkészíthetünk teljes kerámiából. Az ilyen szilárd anyagok azonban – általában csekély – transzlucenciájuk következtében csak behatárolt esztétikai lehetőségekkel rendelkeznek. A jó optikai tulajdonságokkal rendelkező (nagy transzlucencia) kerámiaanyagok viszont alacsonyabb hajlítószilárdságuk okán csak korlátozottan alkalmazhatók. Az anyag jellemzőire vetett pillantás egyértelműsíti a „problémát”. Földpát- vagy leucit-kerámia (mindkettő üvegkerámia) 250-300 MPa közötti hajlítószilárdságú. A csekély szilárdság szűkíti az indikációs területet (leplezőkerámia, betétek, héjak). A szilárdabb üvegkerámia (pl. lítium-diszili-

kát) kb. 500 MPa hajlítószilárdságú. Az első generációs cirkónium-dioxid magas, 1200 MPa körüli hajlítószilárdságú, nagy fesztávolságú esetekhez is alkalmazható. Azonban opákos. Az elméletileg széles indikációt behatárolja a hiányos esztétika. A második generációs cirkónium-dioxidok (kb. 980 MPa) összetételét (az alumínium-oxid szemcsék nagysága és száma változott) megváltoztatták, így magasabb fényvezetési képességet értek el. A transzlucencia azonban továbbra is alacsonyabb az üvegkerámiákénál. A harmadik generációs cirkónium-dioxidok még transzlucensebbek. Hátrányuk, hogy hajlítószilárdságuk már csak 550600 MPa. Az indikáció megint csak korlátozott.
A legjobb a két világból: 3D cirkóniumdioxid
Ezt a rést az esztétika és a szilárdság között az új optimill Multilayer 3D cirkónium-dioxid (dentona) tölti be (1. ábra). „Ez is, az is” a „vagy, vagy” helyett. A 3D cirkónium-dioxid hibrid anyagként egyesíti a teljes kerámia világ két részét. Az optimill Multilayer 3D-vel számos felhasználási területet lefedhetünk (korona- és hídvázak, héjak, betétek, onlay-ek, monolitikus megoldások). A 3D megjelölés az optimill Multilayer nevében több tényezőn alapul:
Transzlucencia mértéke
Az anyag hat réteget integrál a természetes színlefutás és árnyalat utánzása érdekében. Az incizális terület transzlucenciája 57, a cervikálisé 43%. A folyamatos átmenet a transzlucencia fokában a természetes zománcéhoz hasonló, míg a nyak területén a kívánt opákos hatás érvényesül.
Színfokozatok
Az anyag hat rétege gondoskodik a cervikál-incizál közötti fokozatmentes színátmenetről, a természetes fognak megfelelően. Ezzel a hatással csak néhány multilayer anyag rendelkezik.
Szilárdsági fokozat
Az új anyag forradalmi tulajdonsága a tömbön belül változó szilárdsági érték. A belső érték kb. 950 MPa. Aztán rétegről rétegre csökken, az élnél kb. 600 MPa. Az optimill Multilayer 3D intelligens hibrid, amellyel sok indikáció oldható meg.
Hibrid a monolithoz
A monolit restaurációknál ezzel a hibrid szerkezettel optimális együttes játékot játszhatunk. A 950 MPa-os hajlítószilárdság stabil szerkezetek készítését teszi lehetővé, anélkül, hogy a rágófelszíni területen túlzott keménységgel kellene számolnunk (funkcionális szempontok). Az itteni szilárdság csak kb. 600 MPa, ami magas fokú rágási komfortot biztosít. Így a szilárdság, esztétika és funkcionális paraméterek közötti egyensúlyt optimálisan megvalósíthatjuk. Hatékonyan – nagy fesztávolsággal is – készíthetünk cirkóniumdioxidból monolit hidakat, amelyek rágási komfortja és esztétikája megközelíti az üvegkerámia restaurációkét. A labor mindennapjainak hatékonyságát valóban jelentősen növeli a sokoldalú optimill Multilayer 3D cirkónium-dioxid.

5. ábra: A behelyezési irány meghatározása a szoftverben.

6. ábra: A funkcionális paraméterek ellenőrzése.

7. ábra: A 45-47 monolit híd CAD terve.
Páciens esetmegoldás
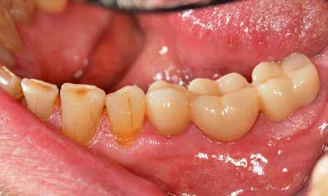
A 68 éves páciens fogai dohányzás és étkezési szokások következtében erősen elszíneződöttek voltak. Meglévő protetikai ellátása használható volt, de színe erősen eltért fogaitól. Extrém eset a 45-47 közötti monolit cirkóniumdioxid híd (2-4. ábrák), amely 14 hónappal ezelőtt készült, egyértelműen túl világos színben. A páciens elmondása szerint már próbánál elégedetlen volt az esztétikai hatással, de időhiány miatt nem volt mód újrakészítésre. Így a hidat akkor csak ideiglenesen ragasztották be. Illeszkedés és funkció szempontjából nem merült fel kifogás.

8. ábra: A híd marása optimill Multilayer 3D anyagból. 9. ábra: Próba: már festés előtt is jól illeszkedik a híd a szájba.


10. ábra: A híd az egyéni karakterizálást követően.

Terv
Új hidat készítünk a 4. kvadránsba. Költséghatékony megoldást kívánt a páciens, amely azonban esztétikailag is megfelelő. A csapattal folytatott megbeszélés alapján optimill Multilayer 3D cirkónium-dioxidból készült megoldás mellett döntöttünk. Még ha meglévő fogai inkább A4 színűek is, alapszínként A3,5-et választottunk, mert a páciens kifejtette, hogy a jövőben a frontterületen enyhe világosítást szeretne.
Megvalósítás
Az ideiglenesen beragasztott híd eltávolítását követően a pillérfogakat enyhén átpreparáltuk, és intraorális szkennerrel rögzítettük a szituációt. Teljes digitális munkamenetet terveztünk, ami fontos volt a páciens számára is. Ennek van néhány előnye. A gyártás akadálymentes, kérdések nélküli. A végső ellenőrzéshez 3D nyomtatóval (Asiga Max, dentona) nyomtattunk egy mintát. A minta nyomtatása opcionális, nem okvetlenül szükséges. Tapasztalatunk szerint az approximális kontaktpontokat fizikai mintán jobban lehet illeszteni, mint a szoftverben a virtuálison.


Az adatok importálása után a CAD szoftverbe (inLab SW 18.0, Dentsply Sirona) megállapítottuk a preparációs határokat és a híd behelyezési irányát, majd megterveztük a hidat (5.-7. képek). A javasolt formát a szoftver segítségével módosíthatjuk. A monolitikus restaurációknál kiemelt figyelmet kell fordítani a funkcionális paraméterekre. A virtuális artikulátorban illesztjük a statikus és dinamikus érintkezési pontokat. A befejezést követően korrekt illesztésre van szükség az optimill Multilayer 3D korong (8. ábra) tömbben, hogy a rétegek illeszkedjenek a színlefutás szempontjából is. A marást A3,5 színű tömbből végeztük. A saját fogak inkább A4, a restaurációk A3 színűek. Az A3,5 harmonikus illesztéséhez festékkel karakterizáltunk. Az optimill Multilayer 3D korongok minden klasszikus Vita színben, 12-30 mm-es vastagságban, 98 mmes átmérőben, illetve az Amann Girrbach és Zirkonzahn frézgépekhez speciális átmérőben is hozzáférhetők. A dentona Coritec 250i öttengelyes marógépben történő frézelés után a szinterezés következett, majd csak néhány lépés maradt a szoftver precíz előmunkálatai következtében. Előpolírozás, festés, fényégetés – kész! Elméletileg végig dolgozhatunk minta nélkül is. A természetes fogak színeihez illesztendő festést is terveztünk. Ez egyszerű, gyors és hatékony.
Készrevitel
Annak érdekében, hogy a színezés területén „biztosra mehessünk”, a festés előtt funkcionális és esztétikai próbát végeztünk (9. ábra). Elmondtuk a páciensnek, hogy enyhe eltérés lesz a színben, amelyet a próba segítségével korrigálunk. Ő újra hangsúlyozta, hogy a későbbiekben világosítani szeretné nagyon sötét frontfogait. Ezt kellett figyelembe vennünk a híd megfestésénél. Festékekkel karakterizáltunk és készre vittük a hidat (10.-12. képek). Nagy előny, hogy minden ismert festék alkalmazható, nincs szükség új készletek beszerzésére. Az antagonista kímélése érdekében a rágófelszíneket is magas fényűre kell polírozni. A behelyezés problémamentes volt. A páciensnek azonnal feltűnt a kényelmes rágóérzet, és elégedett volt az esztétikai hatással is. A cirkónium-dioxid híd jól integrálódott az orális környezetbe, tökéletes idő- és költséghatékony megoldásnak bizonyult. Teljesítettük a páciens igényeit a jó esztétika és a magasabb rágókomfort szempontjából is (13.ábra).
Összefoglalás
Miután a többrétegű cirkónium-dioxidok népszerűvé váltak az utóbbi években, az optimill Multilayer 3D cirkóniumdioxid további fokozatokat ad hozzá a történethez transzlucencia és szilárdság szempontjából is. Ez a különleges cirkónium-dioxid egy korongban egyesíti különböző kerámiaanyagok tulajdonságait. Különösen alkalmas monolitikus restaurációk készítésére. A funkció, biztonság és elfogadható esztétika követelményei is beteljesülnek. A bemutatott új anyag paradigmaváltásként is értékelhető a cirkónium-dioxidok területén. Forrás: Das Dental Labor 2019/2
DENTAL AEROSOL EXHAUSTOR
Egy megoldás a fogászatban!
A Dent-Art-Technik kifejlesztette a fogorvosok illetve a fogászatban dolgozók számára az Aerosol Exhaustor elszívófejet. Az elszívófej használata csökkenti a fertőzés átadásának kockázatát az orvos és személyzete valamint a páciens között.
Előnyei
Tegyük együtt biztonságosabbá • exhaustorra csatlakoztatható a fogászati • univerzális, mivel többféle méretben kezelést! és csatlakoztató adapterrel érhető el • sterilizálható és fertőtleníthető • speciális ergonomikus kialakítású • segíti a védekezést a levegőbe jutó vírusok ellen A fogtechnikai újdonságok úttörői • könnyű, kényelmes, zavartalan és egyszerű a használata • kialakítása biztosítja a tökéletes hozzáférhetőséget elszivo@dentarttechnik.hu +36 20 212 9220










