

FOGÁSZAT
Mi és a páciens döntünk!
Mi tanítjuk a Mesterséges Intelligenciát!
Irányított implantátumbeültetés és restauráció
Esztétikus, minimálinvazív restauráció teljes egészében digitális munkafolyamattal
Digitálisan készített teljes fogpótlás
AZ ALPHA IMPLANT KFT. MÁR 15 ÉVE AZ ÖN MEGBÍZHATÓ PARTNERE
A minőség a siker garanciája




alphaimplant.hu
Kedves Kollégák!
Örömmel és nagy lelkesedéssel köszöntöm Önöket a Digitális Fogászat Magazin 2024-es kiadásában.
Az elmúlt évben is bebizonyosodott, hogy a digitális technológia egyre nagyobb szerepet játszik mindennapi fogászati gyakorlatunkban, és izgalmas új lehetőségeket nyit meg előttünk.
A digitális eszközök és rendszerek alkalmazása terén jelentős előrelépéseket tettünk. Az intraorális szkennerek, az automatizált adatfeldolgozó rendszerek és a navigációs implantológiai technikák tovább fejlődtek, így az ezeket alkalmazó praxisok száma folyamatosan nő.
A fogtechnikai oldalon a 3D nyomtatás egyre szélesebb körű alkalmazása folyamatosan új kapukat nyit meg a precíz, költséghatékony és magas minőségű munkák létrehozásában. Az új anyagok, mint például a monolitkerámiák és cirkóniumok, valamint a kerámiatöltetű műgyanták, még nagyobb rugalmasságot és lehetőséget kínálnak a felhasználónak.
Az idei számunkban számos új, izgalmas interjút, esettanulmányt és szakmai beszámolót találhatnak. Külön büszkeség számunkra, hogy olyan neves szakemberek szerepelnek a kiadványban, mint dr. Gerlóczy Pál és Stumpf Lóránt, akik betekintést nyújtanak a digitális fogászat legújabb trendjeibe és innovációiba.
Magazinunk célja, hogy támogassa olvasóinkat a technológiák és eljárások megismerésében, és inspirálja őket a folyamatos fejlődésre és újításra.
Köszönöm, hogy ebben az évben is velünk tartanak ezen az izgalmas úton. Bízom benne, hogy a 2024-es év kiadványa hasznos és informatív lesz Önök számára, és együtt fedezhetjük fel a digitális fogászat világának legújabb fejleményeit.
Kellemes olvasást kívánok mindenkinek!

Dr. Nagy Zsolt főszerkesztő
Digitális Fogászat Magazin
E-Journal VII. évfolyam, 2024. 11. szám
Kiadja: DP Hungary Kft. 1012 Budapest, Kuny Domokos u. 9.
Felelős kiadó: Laczkó Tamás
Főszerkesztő: Dr. Nagy Zsolt
Előkészítés:
DP Hungary Kft., Sárközi András e-mail: grafika@dental.hu
Információ, hirdetésfelvétel: Kiss Éden Aliz, telefon: 06-30-472-0030, 06-1-793-1874
Az újság e-mail címe: info@dental.hu
Az újság internetcíme: www.dental.hu
Terjesztés: E-mail hírlevél formájában. A tudományos közleményeket a szerkesztőség lektoroknak adja át véleményezésre. Közlés csak egyetértő lektori
vélemény, illetve a javasolt módosítások elvégzését követően lehetséges.
A cikkek szerzői vállalják, hogy az általuk elküldött írás saját forrásból származik, illetve a felhasznált anyagokat (publikációkat, illusztrációkat, képeket stb.) mindenkor pontosan feltüntetik. Írásaiknak jogi és egyéb adatvédelmi kérdéseiben felelősséget vállalnak.
A német nyelvű szakmai cikkeink magyar fordítását az Oemus Media AG Kiadó engedélyével szerkesztettük lapunkba. A fel nem használt kéziratokat, fotókat nem őrizzük meg, és nem küldjük vissza.
A hirdetések tartalmáért nem vállalunk felelősséget. A gyártó, illetve forgalmazó cégek kérésére közzétett cikkeket keretbe foglalva közöljük és (x)-szel jelöljük, azok szakmai tartalmáért a szerkesztőbizottság nem vállal felelősséget.







CS 9600


K AVOSZ SZÉCHÉNYI MAX lízing, 3,5%%-os fix kamatozással, kevés mellékköltséggel. Ügyintézést biztosítunk.
Érdeklődni telefonszámokon: 06 20 929 0701, 06 20 943 8109, vagy mail@dent-east.com mailen
3D CBCT szkenner
Páratlanul vékony – 75 µm - 150 µm* – szeletvastagságok, kisebb sugárterheléssel
FOV térfogatok: 4x4/5x5/6x6 cm, 5x8 cm, 8x5/10x5/12x5 cm, 8x8/10x10 cm, 12x10 cm, 16x6 cm, 16x10 cm, 16x12 cm, 16x17 cm
• 5 az 1-ben:
• Fogászati, arc-, és szájsebészeti, orthodontiai, fül-orr-gégészeti vizsgálatokhoz
• Ultra éles panoráma felvételek
• CS MAR – mesterséges intelligenciával támogatott fém műtermék szűrés
•120 kV a jobb képminőségért, kisebb sugárterheléssel
•CAD/CAM kompatibilis, teljesen nyitott, stl, Pal formátum
•Dicom kompatibilis
3D CBCT szkenner
• 4 az 1-ben:
•Fogorvosok, szájsebészek, implantológusok részére
•Teljes digitális panoráma program, tűéles képekkel
• FOV térfogatok: 4x4 / 5x5 / 8x5 / 8x9 / 12x5 / 12x10 cm
•A létező legvékonyabb szeletvastagság: 75 µm - 150 µm
• CS MAR
• CAD/CAM kompatibilis








CS 2200



A Carestream 8000-es családja – 8100, 8100SC, 8100SC 3D, a CS 8200 3D valamint a CS 9600 gépek teleröntgen kiegészítéssel szállíthatók.
A leggyorsabb telefelvételek, rövid exponálási idők segítik a hatékony munkát.
Képméretek: 26x24 cm, 18x24 cm, 18x18 cm
Telepprogram: koponya, standard, oldalirányú felvétel, frontális AP és PA, kézfej Autotracing fogszabályozási segédeszközként használható pontfelismerő rendszer Két szenzor jobb, mint egy! Második beépített szenzorral készülnek a telefelvételek. www.dent-east.com
Intraorális falikar, szuperszép képminőséggel a 300 kHz-nak köszönhetően



Automatikus expozíciós timer












CS 3700 orálszkenner




RVG 6200 S-1 RVG 5200 S-1
Direkt digitalizáló szenzor.
Valós felbontása: 24 vp/mm
Direkt digitalizáló szenzor.

Valós felbontása: 16 vp/mm

CS 2100
Intraorális falikar, szuperszép képminőséggel a 300 kHz-nak köszönhetően Félautomata expozíciós timer.



Gyors szkennelési idő Kisméretű fej Nagyfokú precizitás Full HD képek














Azonnali képmegjelenítés. Minden intraorális röntgengéppel kompatibilis.











CS 3800 orálszkenner















Vezetéknélküli kivitel Ultrakönnyű Még precízebb, még gyorsabb. Megnövelt mélységélesség



ScanFlow Prémium kevés lépésből álló gyors munkafolyamatú szoftver. Teljesen nyitott rendszer: .stl, Pal, minden applikációhoz








PORTRÉ „A páciens panasza az elsődleges, törekedjenek azt lehetőleg gyorsan és humánusan megoldani…”
ÚJ GENERÁCIÓ
„A folyamatos tanulás és kutatás kulcsfontosságú a szakmai fejlődésben”

MED. DENT
Interdiszciplináris fogászati kezelés myofunkcionális készülék, alignerek és protetikai ellátás alkalmazásával
MED. DENT Abradált frontfogakkal rendelkező felnőtt páciens interdiszciplináris kezelése


CÍMLAPSZTORI
Florin Stoboran egy világhírű fogtechnikus mester román és magyar vérrel

FOGTECHNIKUSOK SZAKMAI LAPJA Életet lehelni monolit megoldásokba
Egy labortulaj, aki mert változtatni, és sikeres lett! LABORBEMUTATÓ LABORATÓRIUM
LABORATÓRIUM
A leplezőkompozitok (analóg) világa








































Dr. Révay András
MI ÉS A PÁCIENS DÖNTÜNK!
Kétségtelen, hogy a magas színvonalú betegellátás záloga a hosszú távú és szoros fogorvos-fogtechnikus együttműködés. Egy korábbi cikkünkben (A jelenben már a jövő; Fogtechnika 2021/4) olvasóink már megismerkedhettek egy ilyen sikeres párossal. Az a terület, ahol ők együtt dolgoznak, az utóbbi években még gyorsabb fejlődést mutatott. Ennek kapcsán ismét megkérdeztük őket, hol tartanak most, és milyen jövőbeli terveik vannak.

Igen, ez a kapcsolat Stumpf Lóránttal a mai napig tart – erősítette meg dr. Gerlóczy Pál. Az előző beszélgetésünk idején digitálisan tervezte és gyártotta a fogműveket, de a gyártási folyamatokat egy időre felfüggesztette, mert kizárólag a nemzetközi dental design service vállalkozására tudott koncentrálni. Mindig is kiemelkedett a VR/AR és Dental CAD tervezésben szerzett tapasztalataival, így a manuális gyártási folyamatokkal már nem maradt ideje foglalkozni. Hamarosan azonban elérhető lesz nem csak a design szolgáltatás, hanem a faragott és 3D nyomtatott kerámiakoronák gyártása is (Instagram @lorant.stumpf).
Ma is úgy dolgozunk együtt, mint régen, amikor különösen bonyolult esetek merülnek fel, főleg ha magas esztétikai elvárások vannak, ahol a funkció mellett a látvány is fontos, vagy harapást kell emelni. Ezeket közösen tervezzük meg,
MI TANÍTJUK A MESTERSÉGES INTELLIGENCIÁT!
Lapunk olvasói korábban már megismerkedhettek Stumpf Lóránt fogtechnikus tevékenységével és az új módszerekhez való vonzódásával (Digitális fogtechnikus; Fogtechnika 2021/4). Ez az érdeklődés azóta csak erősödött, ahogy a tartós együttműködés is dr. Gerlóczy Pállal. Azóta mindkét területen jelentős előrelépések történtek. Ezért ismét megkérdeztük őt: Hová jutottak a közös munka és a digitalizáció terén?
Valóban – hangsúlyozta Stumpf Lóránt –, a karrierem szorosan összefonódik a digitális fogászat fejlődésével. Amikor Budapesten felépítettem az első saját laboratóriumomat, már akkor 100 százalékban a digitális fogtechnikával foglalkoztam. Felismertem a benne rejlő óriási potenciált, de akkor még autodidakta módon kellett megtanulnom a szoftverek és programok kezelését és átalakítását a saját igényeim szerint. A digitális fogászat speciális munkamenetei teszik lehetővé a legmagasabb szintű precizitást és hatékonyságot. Az új technológiák, mint a mesterséges intelligencia, a 3D nyomtatás, az intraorális szkennerek és a virtuális valóság alkalmazása, mind hozzájárulnak ahhoz, hogy a fogorvos és a fogtechnikus egyre magasabb színvonalú munkát végezzen. Az elsődleges cél a páciensek minél tökéletesebb kiszolgálása.
A legújabb eljárások közül külföldön mindinkább teret nyer a virtuális valóság (VR) technológia, bár Magyarországon ez még nem elterjedt. A VR teljesen virtuális környezetet teremt, ahol a felhasználók interakcióba léphetnek egymással, adatokat cserélhetnek. Három alapvető területre érdemes koncentrálni: oktatás és tréning, páciensoktatás, valamint relaxáció és fájdalomkezelés.
A különböző bemutatókon már látott V/R szemüveg kell hozzá?
Igen, a VR szemüveg segítségével léphetünk be a teljesen digitális környezetbe. Ezek az eszközök egyre olcsóbbak és tudásuk is gyorsan fejlődik. A felhasználók dönthetik el, hogy milyen fogászati műveleteket szeretnének gyakorolni, előadásokat, prezentációkat nézhetnek. Mindez mintha fizikai valóságban történne, de virtuális térben zajlik, ami nagy szabadságot ad a tanulóknak. Gyakorolhatnak például egy műtétet, mintha valóban operálnának.
mert ilyenkor a tervezés minden apró részlete nagyon fontos. A backward planning alapján removable mockup-ot nyomtatunk, 3D nyomtatott mintákkal és digitális sablonokkal kommunikálunk. A legfontosabb, hogy csak akkor kezdjük a kivitelezést, ha már elkészült a tökéletes, mindannyiunk számára megfelelő végleges prototípus.
Valójában Lóránt egy innovátor, tervező, aki a számítógép előtt dolgozik, és mindig új ötletekkel jön, amelyeket a számítógépén valósít meg. 100%-ban digitális megoldásokban gondolkodik, nem manuális keramikus.
Korábban arról is beszéltél, hogy jobban elmélyednél a digitális fogászatban, mert ez már nem a jövője, hanem a jelene a fogorvosi szakmának. Több idevágó ötleted is van. Mi valósult meg ezekből?
Jelenleg egy online platform előkészítésén dolgozunk, amely az online elérésen túl, a kurzusaimhoz nyújt majd támogatást videókkal és sokkal több információval. A regisztráció már elérhető ezen az oldalon: https://www.dentaldesignservice.com/preparation.
Korábban fontolgattam, hogy „beintegráljam” a chairside technológiát a rendelőmbe, és kisebb végleges fogműveket is készítsek helyben, de ezt végül nem valósítottam meg. Biztos vagyok azonban abban, hogy a jövőben egyre több rendelő fog élni ezzel a lehetőséggel. Képzeljük el, hogy a páciens reggel bemegy, és délutánra megkapja a kész, végleges fogművet. Ez jelentős előrelépés lesz, mivel a páciensek igényei egyre inkább a kisebb, gyorsan megoldható esetek felé tolódnak, például egy szólókorona vagy kisebb híd elkészítésére. Nagyobb, teljes rehabilitációt igénylő esetek egyre ritkábbak, mivel az emberek jobban ápolják fogaikat, és kevésbé szorulnak nagyobb fogművekre.
A technológiai fejlődés és az anyagok minősége is hozzájárul ahhoz, hogy gyorsan és hatékonyan tudjunk dolgozni ezekkel az új gépekkel, gyakran fogtechnikus bevonása nélkül is. A kérdés inkább az, hogy a fogorvos akar-e ezzel foglalkozni, vagy inkább átadja valaki másnak, akár a rendelőn belül is. Lehet, hogy jobban hasznosítja az idejét, ha egy újabb pácienssel foglalkozik. A lényeg az, hogy a beteg számára gyorsan és optimálisan valósuljon meg az ellátás, és mindenki nyerjen ebben a helyzetben. Jelenleg a végleges pótlások elkészítésére – akár még a kivehetőekre is – a leginkább elfogadott digitális technológia a szubtraktív módszer. Egy blokkanyagból, például cirkóniumból vagy lítium-diszilikát üvegkerámiából egy marógép kifaragja a kívánt formát. Ez azonban hamarosan megváltozik, mert a küszöbén vagyunk annak, hogy végleges fogműveket nyomtassunk. Már rendelkezésre állnak ilyen gépek, csak a hatósági engedélyekre várnak. Ez forradalmasítja a fogászatot, mivel a nyomtatás felváltja majd a marást. Az új additív technológia számos előnnyel jár, de lesz egy meredek tanulási görbe is. Azoknak a fogtechnikusoknak, akik komoly pénzt fektettek a szubtraktív technológiába, most az additív technológiába is be kell majd fektetniük. A technológia fejlődése mindig kiadásokkal jár, és sokat kell költeni az új eszközökre. Az én apám több mint ötven évig használt két széket és egy röntgent, később hozzátett egy turbinát, nagyjából ennyi volt az ő ötvenéves beruházása nagy eszközökbe. Ma ez elképzelhetetlen, hiszen a mai technológiák nagyon gyorsan változnak.
Nem lesz ez ijesztő?
Szerintem nem. A virtuális felület realisztikus és barátságos, ami segíti a pácienseket abban, hogy megértsék a tervezett kezeléseket. A VR technológia fejlődése most éli virágkorát.
Szorosan ide tartozik a harmadik témakör, amiről beszélni szeretnék: A relaxáció és fájdalomkezelés terén is hasznos. A VR alkalmazások segíthetnek csökkenteni a szorongást és a fájdalomérzetet, elterelve a páciens figyelmét a fogászati beavatkozásokról. A virtuális és augmentált valóság (AR) szorosan kapcsolódik egymáshoz, lehetővé téve, hogy a fogorvos munka közben lássa a kezelési tervet a páciens szájában, így pontosabban és gyorsabban dolgozhat. A sebészeti navigáció segítségével a digitális sablonok alapján hatékonyabb és pontosabb beavatkozásokat végezhetünk.
Ha ez a rendszer erre képes, akkor már az egyetemi oktatás része kellene legyen vagy legalább a posztgraduális oktatásban helyet kellene kapjon. Nagyon hasznos lenne. Külföldi egyetemeken már fejlesztik az AR-t az oktatásban, és nekünk is követnünk kellene ezt a példát. A Fogorvostudományi Karon (FOK) az elmúlt öt évben folyamatosan emelkedett a felvett hallgatók száma, és idén nyertek a legtöbben felvételt a karra – emelte ki dr. Németh Zsolt egyetemi tanár, a FOK dékánhelyettese, az Arc-Állcsont-Szájsebészeti és Fogászati Klinika igazgatója. Mint elmondta, idén 127 hallgató kezdheti meg tanulmányait az államilag támogatott, 8 pedig a költségtérítéses fogorvosképzésen, a Digitális Fogászati Tervezés alapképzési szakra 30-an jutottak be államilag támogatott, ketten pedig önköltséges formában. A végén a páciens az, aki profitál ebből, mert egy magasabb színvonalú, jobban megértett kezelést kap. Tény, hogy az online kurzusok világszerte egyre nagyobb teret nyernek Magyarországon Gerlóczy Pali bácsi az, aki több évtizedes szakmai és oktatói tapasztalattal rendelkezik. Magánbeszélgetéseink során rendszeresen felmerült az a kérdés, hogy előadásaiban vajon megfelelő mennyiségű információt tud-e átadni a résztvevőknek. Ezért javasoltam neki, hogy hozzunk létre egy online platformot, amely két fő területet fed le. Egyrészt azon emberek számára, akik a világ másik oldalán élnek, de hallottak már Gerlóczy doktorról, lehetőséget biztosítunk, hogy részt vehessenek az ő kurzusain. Másrészt pedig az aktuális előadásai során, amikor az idő korlátozottsága miatt nem tud minden részletet és apróságot átadni, ennek a platformnak a segitségével megoszthatja a kimaradt információkat a résztvevőkkel. Így a résztvevők több információval és nagyobb adatbázissal rendelkezhetnek, és elégedettebben távozhatnak. Ezen a portálon a magas esztétikán túl főleg a preparáció lesz a fókuszban. Már elkészítettünk egy háromdimenziós prototípus preparáció szettet, egy 3D fogkollekciót, különböző, előre kiválasztott fogakkal. A résztvevők megkapják a szettet, elvégzik rajta a megadott instrukciók alapján a munkát, majd az eredményt 3D-ben orálszken-
Hogyan érintik ezek a változások a fogorvos és a fogtechnikus viszonyát?
Leginkább abban, hogy ma már a fogtechnikus sokkal több adatot kaphat tőlünk, mint korábban. Régen a fogorvos adott a technikusnak egy lenyomatot a lecsiszolt fogról, egy harapást és egy fogszínt. Ebből kellett a technikusnak fogművet készítenie. A jobb fogorvos ehhez még néhány fotót is mellékelt, először analóg, majd később digitális formában, valamint egy arcívet is használt. Ebből látszik, milyen a páciens viszonya a temporomandibuláris ízülethez és az archoz képest. Minél több információt kap a technikus, annál jobb munkát tud végezni. Most már nem csak az intraorális szkenner, hanem az arc- vagy fejszkenner is előtérbe kerül. Sőt, ma már képesek vagyunk a páciens egyedi állkapocs-ízületi mozgását is digitálisan rögzíteni. Így a technikus funkcionális információt is kap. A fejlődés iránya az, hogy a technikus fokozatosan egyre több információhoz jusson, így sokkal jobb fogművet tud majd készíteni az orvosnak és a páciensnek. Ezek a változások természetesen nem csak a fogorvos és a fogtechnikus viszonyát érintik, hanem haladást jelentenek a fogorvos és a páciens, valamint a fogorvosi kollégák közötti jobb kommunikációban is. Olyan eszközök, mint a virtuális valóság (VR) és az augmentált valóság (AR), segítik a pácienseket és a fogászati team tagjait abban, hogy jobban megértsék a kezelési lehetőségeket, és vizualizálják az eredményeket, mielőtt bármilyen eljárásnak nekilátnának. Hasonlóan, mint az oktatásban, a diákok virtuálisan gyakorolhatják a propedeutikát, mielőtt páciens szájában dolgoznának.
Hogyan fogja befolyásolni a fogorvoslást a mesterséges intelligencia?
Ez egy létező, de folyamatosan fejlődő technológia, amit már most is használhatunk, hiszen egyre több cég és szolgáltató próbál megjelenni a digitális fogászati piacon. Elsősorban a fogorvos számára lesz tanácsadó, ami nagy segítséget nyújt a diagnózis és a kezelési terv elkészítésében. A legjobb diagnoszta és fogorvos is csak egy bizonyos – korlátozott számú – esetet látott az életében.
A mesterséges intelligencia viszont nem csak információt, hanem tapasztalatot is képes gyűjteni, hiszen milliónyi esetet képes nagyon gyorsan átnézni és összefüggéseket találni. Ezáltal össze tudja hasonlítani a mi aktuális esetünkkel, képes a legjobb diagnózist felállítani, továbbá egy optimális kezelési tervet javasolni az általunk nyújtott adatok alapján. Fontos azonban szem előtt tartani, hogy végül mindig mi döntjük el, mi a diagnózis és mi a kezelési terv, amit alkalmazunk. A mesterséges intelligencia tanácsait figyelembe véve, de a döntés mindig a miénk és a páciensé marad!
nerrel visszaküldik. Pali bácsi átnézi és módosítja azokat az apró dolgokat, amelyek még hatékonyabbá tehetik az orvos munkáját.
Ez az oldal nemcsak oktatási és támogatási platformként működik, hanem egy nemzetközi közösséget is létrehoz, ahol a résztvevők egymást segítve, Gerlóczy doktor irányítása alatt, sokkal magasabb szintű preparációkat végezhetnek el a kurzus befejezése után, mint előtte.
Ez egy igen jelentős változás. Hogyan érinti a fogorvos-fogtechnikus viszonyát?
A digitális technológia lehetővé teszi a fogorvos és fogtechnikus közötti szorosabb együttműködést. Az adatok digitális megosztása és a közös tervezési folyamatok révén mindkét fél jobban megértheti egymás munkáját. Ez a digitális kommunikáció javítja a betegellátás minőségét, ami a legfontosabb cél. Az intraorális, arc- és fejszkennerek használata részletesebb információkat nyújt a technikusoknak, így pontosabb, személyre szabottabb és jobb minőségű fogműveket készíthetnek. Az elkövetkező években az új technológiák, például a digitális lenyomatvétel és a 3D nyomtatás gyorsabban elterjednek, a konvencionális módszerek pedig háttérbe szorulnak. Az új anyagok és technológiák folyamatosan fejlődnek, és minden gyártó igyekszik kihasználni ezek potenciálját. A mesterséges intelligencia tovább növeli a diagnózis és kezelés pontosságát, javítva a páciens élményét is.
Ha végiggondoljuk ezt az utat, akkor könnyen elképzelhető, hogy egy fogmű elkészítéséhez vagy egy szájsebészeti műtét elvégzéséhez a HELYSZÍNEN ember már nem kell. A műtétet, a nyomtatást ott egy robot végzi, az ember csak arra kell, hogy ül valahol sok kilométer távolságban, a digitális adatok alapján eldönti, mi legyen, kiadja az utasítást és a robot megcsinálja, ad absurdum egy űrhajóban is. Ahogy mondani szokták: ez is benne van a pakliban. De ezek az eszközök leginkább arra valók, hogy pontosabb képeket kapjunk és jobb diagnózisokat állítsunk fel. Nem titok, hogy része vagyok egy nemzetközi, VR és AR, valamint mesterséges intelligencia alapú fogászati fejlesztéseken dolgozó zárt közösségnek. Vannak orvosok, akik a technológiától teljes automatizáltságot várnak, de szerintem ez nem így van. Ezek a technológiák meggyorsítják és egyszerűbbé teszik a mindennapi munkánkat, nem váltanak fel bennünket. Az AI képes hatalmas mennyiségű információból következtetéseket levonni, érzelmek nélkül. Nincs jó vagy rossz napja, ami kritikus kérdéseket vet fel: nem mindegy, hogyan kérdezzük! Ezért a fogászatban komoly fejlesztések szükségesek. Már ma is hatalmas a fogászati tudástár, amit az AI-be táplálva hihetetlen eredményeket érhetünk el. Ugyanakkor az AI a fogászati témakörben még gyerekcipőben jár, hiszen a világban elérhető információk mennyisége miatt. Például a szépségiparban már sokkal több információ van az AI-ben, mint a fogászatban. Az orvosoknak nem kell attól félniük, hogy az AI átveszi a helyüket. De az tény, hogy mindennap tanítjuk az MI-t, ami egyre okosabbá válik. Az intraorális szkennerek, arc- és fejszkennerek, valamint a CBCT mind olyan eszközök, amelyek optimalizálják a fogtechnikus munkáját és a gyártási folyamatokat. Az MI mint algoritmus, már nem újdonság. Korábban a számítógépek kapacitása nem volt elég erős, de most már az MI egyre inkább beépül a mindennapokba. A szoftverek és alkalmazások sok esetben felhőalapúak. A fogorvos és a fogtechnikus munkájában ezek a felhőalapú megoldások és integrált digitális platformok korlátlan hozzáférést biztosítanak a fogászati adatokhoz. Ha a világ másik végén nyaralok és fogászati probléma merül fel, a kezelőorvosom gyorsan elérheti az adataimat. A felhőalapú kommunikáció bárhol biztonságot nyújthat. Én azon az oldalon állok, ahol az eszközt keressük a jó minőségű munkához. Ez a változás sokakban ellenszenvet és félelmet, de ugyanakkor nagy érdeklődést vált ki. Ha meg tudnánk nyugtatni az olvasókat, hogy az AI nem mumus, hanem egy eszköz, egy jó asszisztens, az nagyon sokat jelentene!

KONGRESSZUSOK:
Esztétika & Endo • Implantológia
Digital & Ortho • Prevenció









Dr. Maciej Zarow
Dr. Gerlóczy Pál
Dr. Götz Gergely
Dr. Mustafa Al-Qassab
Dr. Alberto Salgado
Prof. Bulent Kurtis
Dr. Molnár Bálint
Dr. Bartha Ferenc
Dr. Kiss Vivien

Dr. Adam Nulty (Egyesült Királyság)
ÉS RESTAURÁCIÓ

Bevezetés
A digitális fogászat fejlődése forradalmasította a fogászati beavatkozások tervezésének és kivitelezésének módját. Jelen esetbemutatás különféle digitális eszközök és technikák integrációját hangsúlyozza ki, a kiszámítható és kielégítő eredmények elérése céljából.
Jelen esetismertetés egy elégtelen jobb felső híd problémájának sikeres megoldását mutatja be fejlett digitális fogászati technikák alkalmazásával. A munkafolyamat magában foglalta a virtuális extrakciót, a CBCT-tervezést, az irányított műtétet és a végleges protézis elkészítését.
Esetbemutatás
Egy 67 éves, jó egészségi állapotban lévő nőpáciens a 14es fogtól a 17-es fogig terjedő, ezen fogakon rögzített, nem megfelelő állapotú híddal jelentkezett rendelőnkben (1–2. ábra).
Komplex megközelítés 1 3 2 4


Virtuális extrakció
A Medit Design eszköz segítségével eltávolítottuk a hidat és a támasztófogakat; a Medit i700 intraorális szkenner segítségével pedig precíz lenyomatot vettünk (3–4. ábra). Ez a kezdő lépés megalapozta a kezelés későbbi fázisait, biztosítva a pontos tervezést és kivitelezést.
Implantológiai tervezés
Ebben a fázisban a CBCT-felvételek és az intraorális felvételek felhasználásával végeztünk teljes körű elemzést. A SMOP irányított sebészi szoftver (Swissmeda) segítségével részletes tervet készítettünk. Ez a terv tartalmazta az Axiom X3 implantátumok (Anthogyr) behelyezését olyan módon, hogy azok stratégiai pozíciójuknál fogva megfelelő alátámasztást nyújtsanak a négy egységből álló hídnak (5–7. ábra).
Sebészi sablon készítése
A precíz implantátumbehelyezés céljából sebészi sablont készítettünk. A sablont MAX UV-nyomtatóval (Asiga) nyomtattuk KeyGuide műgyantából (Keystone Industries; 8–10.


ábra). A tisztítás után INTEGRAL hüvelyek (Anthogyr) kerültek behelyezésre a végső utópolimerizáció előtt (11–12. ábra).
Implantátumok behelyezése
Az implantációs műtét napján eltávolítottuk a hidat és a támasztófogakat (14-es és 17-es fog) (13–17. ábra). Az implantátumbeültetést a sebészi sablon és az INTEGRAL irányított sebészeti készlet segítségével végeztük. Az azonnali implantációt követően gyógyulási csavarokat helyeztünk be. Az alveolusokat szarvasmarha eredetű xenograft segítségével augmentáltuk.
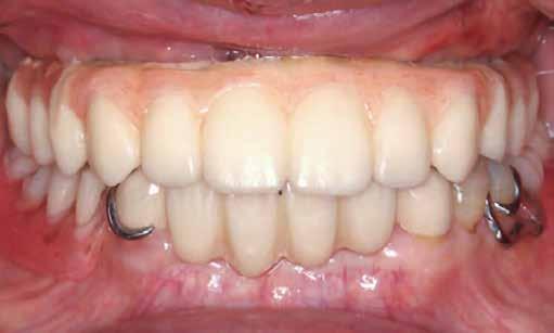
Restauráció


Nyolchetes gyógyulási idő után digitális lenyomatot vettünk scanbodyk segítségével (18–19. ábra). Egyedi anodizált (arany) titánfelépítményeket és cementrögzítésű lítium-diszilikát hidat terveztünk (20–31. ábra). Az egyedi fel-

építmények marása Simeda technológiával történt, a sebészi sablon és a végleges híd tervezését, illetve a végleges híd marását azonban chairside módon végeztük el.






Eredmények


Az új híddal funkcionálisan és esztétikailag ideális eredményt értünk el (32–36. ábra). A fejlett digitális technikák integrálása biztosította a kiszámítható és kielégítő eredményt (37–41. ábra).
Megbeszélés
A digitális fogászat integrálása a klinikai gyakorlatba transzformatív fejlődést hozott a szakmába. A bemutatott eset kiemeli a teljes körű digitális munkafolyamat fontosságát a modern fogászati implantológiában. A virtuális tervezés, az irányított sebészet és a házon belüli marás alkalmazása precíz munkát és rövidebb kezelési időt tesz lehetővé.
Virtuális tervezés és irányított sebészet
Az olyan virtuális tervezőeszközök, mint a Medit Design és a SMOP használata lehetővé teszi a kiszámíthatóbb műtéti eredményt.


A digitális fogászat gyors és pontos kezelési tervet biztosít a pácienseknek. Mangano és munkatársai felhívták a figyelmet arra, hogy a digitális munkafolyamatok, beleértve a virtuális tervezést és az irányított műtéti beavatkozást, növelik az implantátum behelyezésének pontosságát, ugyanakkor csökkentik a műtéti időt és minimalizálják a műtét utáni szövődményeket [1]. Ezáltal az implantátum a legoptimálisabb pozícióba kerül, csökkentve ezzel a szövődmények kockázatát és támogatva az implantátum hosszú távú élettartamát.
Azonnali implantáció
Az azonnali implantációnak, ahogyan a bemutatott esetben is történt, megvannak az előnyei. Chen és Buser hangsúlyozta az azonnali implantátumbeültetés előnyeit, beleértve a kezelési idő csökkentését, a lágy és kemény szövetek megőrzését és a jobb esztétikai eredményeket [2]. Ez a módszer nemcsak a kezelési folyamatot gyorsítja fel, hanem a kevesebb fogorvosi vizit és a gyorsabb felépülés miatt nagyobb pácienselégedettséget is eredményez.
















Digitális lenyomatvétel és chairside marás
A Medit i700 digitális scannert használtuk az igen pontos digitális lenyomatvételhez. Nulty szerint a digitális scannerek pontossága kiemelkedő, ezáltal biztosítják a végleges fogpótlás tökéletes illeszkedését [3]. Továbbá, a jelen esetben is bemutatott chairside marás nagyobb kontrollt biztosít a kezelőorvosnak a végleges fogpótlás tervezését és az illeszkedését tekintve, amely végül nagyobb pácienselégedettséghez vezet [4].
3D nyomtatás és pontosság
Nulty összehasonlította különböző 3D nyomtatók – beleértve a MAX UV készüléket – hitelességét és pontosságát, és azokat kiválónak találta [5]. A MAX UV statisztikailag jobbnak bizonyult a többinél, 35 μm alatti teljes pontossággal, ezáltal biztosítva a műtéti sablon tökéletes illeszkedését a műtéti beavatkozás alatt [5]. Ezen nyomtatók pontossága kulcsfontosságú annak érdekében, hogy a sebészi sablon tö-


kéletesen illeszkedjen a páciens anatómiájához, elősegítve az implantátum sikeres beültetését.
Anyagválasztás
Az alveolus augmentációja során használt szarvasmarha eredetű xenograft választását azon tanulmányok indokolták, amelyek bizonyították annak szerepét az alveoláris gerinc prezervációjában, fogeltávolítást követően [6]. A kiváló esztétikai tulajdonságairól és tartósságáról ismert lítium-diszilikát használata a végleges fogpótlás elkészítése során megfelel a helyreállító fogászat jelenlegi trendjeinek [7].
Együttműködésen alapuló megközelítés
A különböző digitális eszközök, anyagok és szakemberek közötti együttműködés, ahogyan jelen esetben is látható volt, a modern fogászat multidiszciplináris jellegét bizonyítja. Ez a megközelítés a különböző területek szakértelmének ötvözésével biztosítja, hogy a betegek a lehető legjobb ellátásban részesüljenek.
Primer stabilitás és implantátumtervezés
A sikeres fogászati implantáció egyik kulcstényezője a kiváló primer stabilitás elérése. A primer stabilitás az implantátum mechanikai stabilitását jelenti közvetlenül a behelyezés után, és döntő tényező az osszeointegráció és a teljes implantációs kezelés sikerében. Az Axiom X3 implantátum egyedülálló kialakításának köszönhetően kiváló primer stabilitást tesz lehetővé. A primer stabilitás biztosítja, hogy az implantátum stabilan rögzüljön a csontban, csökkentve a mikromozgásokat, amelyek gátolhatják a csontintegráció folyamatát. Ez a stabilitás nemcsak a köz -




vetlen posztoperatív időszakban előnyös, hanem az implantátum hosszú távú sikerességében is kulcsfontosságú szerepet játszik. [8]
Következtetések
A digitális fogászat, amennyiben azt komplex módon alkalmazzuk, gyors és pontos kezelési tervet kínál a pácienseknek, amely kiszámítható eredményekhez vezet. Jelen cikk-

ben bemutatott eset a szakterület és a klinikai alkalmazás fejlődésének bizonyítékául szolgál. Összefoglalva, a digitális fogászat fejlődése, ahogyan azt a jelen eset is mutatja, holisztikus megközelítést kínál a betegellátásban. A különböző digitális eszközök és technikák integrálásával a klinikusok kiszámítható, hatékony és esztétikus eredményeket érhetnek el.
(A hivatkozások listája szerkesztőségünkben megtalálható.) Forrás: Digital 2024/1


Jelen esetben a fogak helyzete limitációt jelentett a a kerámia rétegezésére. A szemfogakat bevonó fronthidaknak
Ilyen esetekben a Zolid Gen-X a legjobb anyag,

a koronák vastagságát illetően, mivel nem volt hely fronthidaknak erősnek és esztétikusnak kell lenniük. anyag, mert szilárdságot és esztétikát kínál.
Dr. Atsushi Hasegawa, dr. Yusuke Takayama (Japán)
DIGITÁLISAN TERVEZETT, MAGAS

Esztétikai intuíció, kreativitás és technikai szakértelem, csupán néhány fontos tényező a minőségi restaurációk készítéséhez. A megfelelő anyag kiválasztása szintén kulcsfontosságú a pontos illeszkedés szempontjából. Ez az esetbemutatás jól szemlélteti, hogy a fogpótlások funkcionálisan hatékonyak és esztétikailag is igen meggyőzőek lehetnek, ha a modern fogászati technológia a fogorvos és a fogtechnikus szakértelmével és tapasztalatával párosul.

Esetbemutatás
Egy 37 éves nőbeteg jelentkezett dr. Takayama fogászati rendelőjében frontfogai színének és formájának korrekciója és ínygyulladása kezelésének céljából. A 23-as fogát még iskoláskorában távolították el, és ezen a területen ínyrecesszió volt látható. A páciens a 21-es fogtól a 24-es fogig terjedő híddal, valamint 11-es és 12-es szólókoronákkal rendelkezett, amikor először érkezett a rendelőbe. Különösen a híd formája nem felelt meg az esztétikai igényeinek (1-2. ábra).
Tervezés és előzetes kezelések
Az adott körülmények miatt a porcelán rétegezéséhez labiálisan nem állt rendelkezésre elegendő hely. Ezért úgy döntöttünk, hogy a monolitikus fogpótlást Zolid Gen-X Multilayerből (Amann Girrbach) készítjük el, amely egy rendkívül transzlucens és polikromatikus cirkónium-dioxid; illetve a labiálisan dőlt és torlódott alsó frontfogak részleges fogszabályozását is elvégezzük.
A marginális gingiva korrekcióját még a helyreállító kezelés előtt el kellett végeznünk. Az ínygyulladás és a 23-as fog hiánya miatt az íny jelentősen visszahúzódott e régióban. Ezt műtéti úton korrigáltuk, hogy később természetes marginális ínyszélt érjünk el (3-4. ábra). Az előzetes kezeléseket követően (5-6. ábra) a fogorvos előkészítette a fogakat az új fogpótláshoz (7. ábra).
Tökéletes illeszkedés a kezdetektől
Az arcív használata (8. ábra) rendkívül fontosnak bizonyul a páciens condylusai és a harapási sík közötti egyéni kapcsolat




5. ábra: Az alsó frontfogak fogszabályozó kezelése.
6. ábra: A gingivaszél műtéti korrekcióját követő állapot.
7. ábra: A 11-es, 12-es, 21-es, 22-es és 24-es fogak előkészítése az új fogpótláshoz. – 8. ábra: Artex arcíves átvitel.
prezentálására. Ez biztosítja a páciensbarát okkluzális koncepciók későbbi megvalósítását az Artex artikulátoron, mind virtuálisan, mind fizikailag (Amann Girrbach).
A klasszikus, mintákkal való munka során a Model Management System workflow-t (Amann Girrbach) használtuk. Ezt követően a mintákat az Artex CR artikulátorba gipszeltük az Artex arcíves regisztráció alapján (9. ábra), és a Ceramill Map 600 szkennerrel (Amann Girrbach) digitalizáltuk. A CAD a Ceramill Mind CAD szoftver segítségével készült. A Ceramill rendszer egyik legnagyobb előnye, hogy az analóg és a digitális munkafolyamatok egyazon koncepcióval egyaránt alkalmazhatók (10-11. ábra).
Az Artex artikulátor beállítása (kondiláris dőlésszög és Bennett-szög) átlagos volt (35°-os szagittális kondiláris inklináció és 10°-os transzverzális kondiláris dőlésszög). Az incizális dőlésszöget illetően egy egyedi incizális guide-ot választottunk, amelyet 35°-ra, a bal szárnyat 0°-ra, a jobb szárnyat pedig 30°-ra állítottuk be, a csekély elülső overbite és a természetes hatású jobb oldali szemfog miatt (12. ábra).




A frontrestaurációk tervezésénél nem csak az esztétikát, hanem az okklúziót is figyelembe kell venni. A cél egy olyan okklúziós minta elérése, amelyben a hátsó fogak megakadályozzák az elülső fogak túlzott érintkezését a maximális interkuszpidális helyzetben, és az elülső fogak minden mandibuláris kitérő mozgásnál felszabadítják a hátsó fogakat. Emiatt, amikor a frontrégió okklúzióban van, ez egy olyan fontos területet képvisel, amely vezeti a mandibulát és kontrollálja mind a protruzív, mind a laterális mozgásokat. Ebben az esetben, mivel az egyik szemfog hézagfog volt, a 24-es fogat is bevontuk a hézagfog terhelésének csökkentése és a laterális mozgások kontrollálása érdekében (13-14. ábra).




9. ábra: A minta begipszelése az Artex arcív segítségével. – 10. ábra: Ceramill Artex virtuális artikulátor. – 11. ábra: Ceramill Artex fizikális artikulátor. – 12. ábra: Az összes funkcionális paraméter beállítása a Ceramill Artexen. – 13. ábra: Statikus okklúzió beállítása. – 14. ábra: Dinamikus okklúzió beállítása.



15. ábra: Mosolytervezés a Ceramill M-Smile programmal. – 16. ábra: Ceramill M-Smile, ferde nézet. – 17. ábra: CAD-tervezet a preoperatív adatok alapján.
Virtuális valóság –a Ceramill M-Smile életet teremt a restaurációknak



A Ceramill M-Smile modullal történő restaurációtervezés olyan lehetőségeket teremt, amelyek az analóg munkafolyamatban nem állnak a fogtechnikusok rendelkezésére. Korábban az analóg artikulátorral és a mintákkal nehezen kivehető referenciák – mint a pupillavonal és a középvo -



18. ábra: A középvonal megfigyelése az arc orientációja nélkül. – 19. ábra: A fogak formája és mérete közötti egyensúly lényeges szempont a jó esztétikai eredmény eléréséhez. – 20. ábra: A középvonal egyeztetése az arcprofilhoz. – 21. ábra: A középvonal és az ajakvonal egyeztetése. – 22. ábra: A 12-es korona tervezése. – 23. ábra: A 21-24 híd tervezése.
nal – ma már könnyen láthatók; és még az is megoldható, hogy a páciens mosolyát használjuk a tervezéshez (15. ábra).
Figyelembe kell vennünk, hogy a Ceramill M-Smile 2D-s képeket használ. Ezért nem tanácsos azt a korona labiális kontúrjának meghatározására vagy az ajaktámasz tervezéséhez alkalmazni. E szempontok megfelelő megtervezéséhez hasznosak az ideiglenes restaurációkról készült tervek (műtét előtti szkennelési adatok), mivel az incizális élek pozíciója és az ajak kontúrja az ideiglenes restaurációkhoz viszonyítva módosítható (16-17. ábra).
A minták alapján, a középvonal kérdésében a 11-es és 12es fogak tengelyiránya azt sugallta, hogy a középvonalat a piros szaggatott vonal mentén kell meghatározni (18. ábra). A digitális terveken a fogak méretének és formájának érzete elvész, mivel – ellentétben a fizikális minták megtekintésével – könnyen lehet nagyítani, kicsinyíteni és forgatni. A fizikális és a digitális minták mérete nem azonos. Ez fontos szempont a frontfogak digitális tervezésében (19. ábra).
A középvonalat a páciens arcának tájolásából lehet meghatározni. A mosolyvonal, amely az analóg eljárás során nem viszonyítható, szintén a 2D-s képek átlapolásával írható le (16. ábra). A mintán és az arcvonásokon alapuló középvonalak eltérőek voltak, az egyes fogak megtervezése nagyon nehézkes volt, különösen a 11-es fog meziális emergenciaprofiljának (zöld nyíl a 19. ábrán ) területén. Az esztétika javítása érdekében csökkenteni kellett a labiális vastagságot, és a fog tengelyét a lingválisan kellett dönteni. Ilyen esetekben a korona falvastagságát a szilárdság biztosítása érdekében ellenőrizni kell (20-23. ábra), a gyártó használati utasításait követve.
Ha kevés hely áll rendelkezésre, akkor az előnyben részesített restaurációs anyagnak mindig monolitikusnak kell lennie. A cirkónium-dioxid nagy szilárdsága biztonságot és hosszú élettartamot biztosít a restauráció számára. A Zolid Gen-X természetes színátmenete és magas transzlucenciája révén kiváló esztétikát biztosít a restaurációknak.


A virtuális valóság
A tervezési folyamat befejezése után a restaurációkat a Ceramill Matik marógéppel martuk ki (24. ábra). Mivel a páciens egy kissé világosabb árnyalatot szeretett volna, a Zolid Gen-X A1 árnyalatot választottuk (25-26. ábra).
A marás után a koronákat és a hidakat megfelelő eszközökkel korrigáltuk, hogy individulizáljuk azokat (27. ábra). A Zolid Green-State Finishing Kitet használtuk az approximális területek (az érintkező felületek) és az okkluzális felszín morfológiájának korrigálására, amelyeket a szinterezés után nehéz volt korrigálni. Ezt követően megkezdődött a szinterezési folyamat (28. ábra). A szinterezés után a Zolid Sinter-State Polishing Kit segítségével a morfológia kismértékű

24. ábra: A fogpótlások marása Ceramill Matik géppel.
25. ábra: Ceramill Zolid Gen-X Multilayer üres lemezek. – 26. ábra: A páciens saját, alsó fogaihoz igazított színválasztás.






27. ábra: Marással készült restaurációk. – 28. ábra: Ceramill Therm 3-mal végzett szinterezés. – 29. ábra: Szinterezett és polírozott restaurációk. – 30-31. ábra: Esztétikus befejezés a közvetlenül felhasználható Vintage Art Universal paszta színezékkel és lakkokkal. – 32. ábra: Végleges fogpótlás a mintán. – 33. ábra: Tisztítás KATANA Cleaner segítségével. –34. ábra: Mikroszkópos kontroll alatt végzett cementrögzítés.



korrekcióját végeztük el, beleértve a folyamat végén a közepes fokozatú polírozást is (29. ábra).
A Zolid Gen-X gyönyörű többrétegű fokozatossággal és rendkívül természetes megjelenést kölcsönöz, így olyan restaurációk készíthetők, amelyek minimális színezést igényelnek. Ebben az esetben Vintage Art Universal színezékeket és glazúrokat (SHOFU) használtunk. Az incizális éleket a transzparencia érdekében kékesszürkére színeztük, mely folyamat során ügyelni kell arra, hogy az érintett terület ne legyen túl kék. A koronai test területére egy nagyon vékony réteg A árnyalatú festéket adtunk (a színkiegé -


szítéshez), és a nyaki területet sötétebbre színeztük, mint a test területét (30. ábra). A végén egy vékony réteg glazúrt vittünk fel a felületre. Második rétegként a glazúrpasztához egy kis mennyiségű fehéret kevertünk, és a meziális és disztális marginális szélekre rétegeztük (31. ábra). A Zolid Gen-X használatával esztétikus és funkcionális restaurációkat készítettünk (32. ábra).
A bevett cementrögzítés protokollját követtük, de retrakciós fonalat használtunk, és fokozottan ügyeltünk a nedvesség és a szennyeződés elkerülésére. Különösen a restaurációk felfekvő felületei szennyeződhetnek a nyálban lévő fehérjékkel a bepróbálási szakaszban, így ezeket át kell tisztítani, például KATANA Cleanerrel (Kuraray Noritake Dental; 33. ábra). PANAVIA V5 (Kuraray Noritake Dental) rezin cementet használtunk. Az érték ellenőrzésére fehérítő színű cementet választottunk. A cementálást a fogászati mikroszkóp alatt végeztük (34. ábra).
Eredmények
Jelen esetben a fogak helyzete limitációt jelentett a koronák vastagságát illetően, mivel nem volt hely a kerámia rétegezésére. A szemfogakat bevonó fronthidaknak erősnek és esztétikusnak kell lenniük. Ilyen esetekben a Zolid Gen-X a legjobb anyag, mert szilárdságot és esztétikát kínál. Ezenkívül a Zolid Gen-X és a Ceramill M-Smile kombinációja a front monolit koronák gyártásakor rendkívül esztétikus eredményt hozott (35. ábra) . A páciensnek gyönyörű mosolya lett a front monolitikus cirkónium-dioxidból készült restaurációk beragasztása után (36. ábra).
Forrás: Digital 2023/2
35. ábra: Zolid Gen-X monolitikus koronák cementezés után a páciens szájában.
36. ábra: Végső eredmény a páciens természetes mosolyával.
MI Diagnosztika
Új dimenzió a CBCT, a fogászati röntgenek és a kefalometriai felvételek diagnosztikájában a MESTERSÉGES
INTELLIGENCIA erejével csak a VIP DENTALBAN!


Dentális státusz elemzése mesterséges intelligencia által CBCT felvételen.


Panorámaröntgen elemzése mesterséges intelligencia által.






Kefalometriai elemzés és pontbejelölés mesterséges intelligencia által.
Legyen az Ön rendelője a fogászati ellátás innovatív központja, és velünk együtt biztosítsa a legmagasabb szintű diagnosztikai szolgáltatást az MI által támogatott elemzésünkkel.
4,8-as átlag

Prof. dr. Li Xiaofeng, dr. Li Shuguang (Kína)
A TELJES FELSŐ ÁLLCSONT
IMPLANTÁCIÓS
REHABILITÁCIÓJA DIGITÁLIS MUNKAFOLYAMATTAL

Bevezetés
A teljes foghiány egy olyan irreverzibilis állapot, amely a szájüregi egészséget érintő betegségteher ismert mutatója. [1] A foghiány jelentősen befolyásolja mind a szájüregi, mind az általános egészségi állapotot, valamint az életminőséget. [2] A teljes állcsont implantátumokkal történő rehabilitációja megbízható és kiszámítható kezelési lehetőséget jelent foghiányos esetekben. [3] Az új fejlesztések, mint például a virtuális tervezés, ideális lehetőséget teremtenek az implantátum behelyezéséhez, mégpedig pontos protetikai pozícióhoz igazodva, és minimalizálják az intraoperatív traumát, illetve a beavatkozás időtartamát. [4]

Az alábbi esetismertetés egy 70 éves, rágási nehézségekkel küzdő beteg sikeres kezelését mutatja be. A hat Straumann Bone Level Tapered (BLT) implantátummal és digitális munkafolyamattal végzett, teljes felső állcsont-rehabilitációval a páciens életminőségét jelentős mértékben javítottuk és teljes mértékben kielégítettük az elvárásait.
Kiindulási állapot
Az egészséges, gyógyszert nem szedő, allergiában nem szenvedő, nem dohányzó páciens rágási nehézségei miatt



kereste fel rendelőnket. Ezen felül folyamatos halitózisra is panaszkodott. A páciens szerette volna visszaszerezni a korábbi rágási képességét és helyreállítani az életminőségét, illetve az önbizalmát is.
Az extraorális vizsgálat során alacsony mosolyvonalra derült fény; az intraorális vizsgálat során pedig egy kivehető híd volt látható a 13-as fogtól a 23-as fogig, amely nem megfelelően illeszkedett és cserére szorult. A jobb felső bölcsességfog kivételével az összes fog mobilis volt a felső állcsonton. Generalizált gingivitis, szondázási ínyvérzés és caries is kimutatható volt (1. ábra). A röntgenfelvétel súlyos csontveszteséget mutatott a bal felső kvadránsban, valamint cariest és periapikális elváltozásokat a felső fogak esetében (2. ábra).
A klinikai és radiológiai vizsgálatok elvégzése után a pácienst a sebészi és a protetikai SAC osztályozás („Straightforward, Advanced, Complex”, azaz egyszerű, előrehaladott, komplex) szerint is komplex osztályba soroltuk. Ez a Nemzetközi Implantológiai Csoport (ITI, International Team for Implantology) által kifejlesztett osztályozási rendszer az implantátumokon elhorgonyzott fogpótlásokhoz kapcsolódó kihívások



és lehetséges szövődmények szintjének értékelésében nyújt segítséget (3. ábra).
Kezelési terv
A pácienssel a különböző kezelési alternatívákról folytatott részletes konzultáció után közös döntés született a választandó eljárásról, amely a digitális munkafolyamatot, az azonnali implantátumbeültetést és a teljes felső állcsont-rehabilitációt foglalta magában.
A kezelési folyamat az alábbiakat tartalmazta:
1. Digitális implantációs tervezés coDiagnostiX (Dental Wings) segítségével;
2. A csontredukciós sablon, a sebészi sablon és a rezin modellek tervezése és nyomtatása;
3. A menthetetlen fogak eltávolítása a maxillán;
4. A sebészi sablon fixálása a maxillán és hat darab Straumann BLT implantátum azonnali beültetése;
5. Az üres hézagok kitöltése Straumann XenoGraft csontpótlóval;


6. Az ideiglenes, csavaros rögzítésű ideiglenes fogpótlás átadása;
7. A végleges, csavaros rögzítésű fogpótlás átadása 12 héttel a műtétet követően; valamint 8. Kiegészítő parodontális terápia 3-4 havonta.
A coDiagnostiX alkalmazása az implantátum behelyezésének digitális tervezésében kiemelkedő jelentőségűnek bizonyult a szomszédos anatómiai struktúrák védelme, valamint a kiszámítható és megbízható eredmények elérése szempontjából. Ezenkívül ez a szoftver megkönnyítette a páciensünk igényeinek megfelelő, rendkívül pontos sebészi sablon elkészítését. A tervezés véglegesítése után a következő lépés a sebészi sablon 3D nyomtatása és a rezinmodellek elkészítése volt.
Sebészi fázis
A műtéti beavatkozás előtt a sebészi sablon alapos vizsgálatát végeztük, hogy biztosítsuk annak precíz illeszkedését. Ezt követően helyi érzéstelenítést alkalmaztunk 2% lidokain 1:100 0000 adrenalildattal. A sulcusokban és az állcsontgerinc közepén ejtett metszésből teljes feltárást végeztünk (4. ábra). Ezután felhelyeztük a csontredukciós sablont, majd kifúrtuk a rögzítő pinek furatait, és a pineket szorosan rögzítettük (5. ábra).
A hidat eltávolítottuk, a fogakat atraumatikusan eltávolítottuk, és az alveolusokat alaposan kikürettáltuk. A fogeltávolításokat követően az állcsontgerinc vertikális redukcióját végeztük (6. ábra). Ezt követően felhelyeztük a sebészi sablont az azonnali implantációhoz (7. ábra).
Hat darab Roxolid, SLActive felülettel rendelkező Straumann BLT implantátumot helyeztünk be (16-os implantátum:


4,8×10 mm; 14-es implantátum: 4,1×14 mm; 12-es implantátum: 3,3×14 mm; 21-es implantátum: 4,1×12 mm; 23-as implantátum: 3,3×12,0 mm; 26-os implantátum: 4,1×14,0 mm) (8. ábra). A hézagokat Straumann XenoGraft csontpótló anyaggal töltöttük ki, majd hat ideiglenes, csavarral rögzített titánfelépítményt helyeztünk fel (9. ábra).
Teljes felső lenyomatot vettünk nyitott kanalas lenyomatvételi elemekkel és poliéter lenyomatanyaggal (Impregum, 3M ESPE). Néhány óra elteltével kofferdamot helyeztünk az ideiglenes felépítmények köré, hogy óvjuk a friss műtéti területet. Ezután a korábban elkészített, műgyanta alapú anyagból készült ideiglenes fogpótlást a helyére rögzítettük (10–12. ábra).
A pácienst fájdalomcsillapító- és antibiotikum-recepttel láttuk el, és instruáltuk a műtét utáni szájápolásról, úgymint a napi kétszeri öblögetés 0,2%-os klórhexidin-glükonátos szájvízzel egy héten keresztül, valamint az ideiglenes protézis tisztítása nagyon puha fogkefével. A varratokat a műtét után 12 nappal távolítottuk el.
Protetikai fázis
12 hét elteltével került sor a csavarral rögzített végleges protézis átadására. Ez idő alatt az implantáció helyei fiziológiásan gyógyultak, és az osszeointegráció végbement. Nyitott kanalas lenyomatot vettünk, amelyet a végső gipszminták elkészítése követett. Ezeket a mintákat használtuk fel a végleges protézis elkészítéséhez. A klinikai vizsgálat során a fogpótlást alaposan megvizsgáltuk annak érdekében, hogy meggyőződjünk annak pontos és passzív illeszkedéséről. Ezenkívül a funkcionalitást, a fonetikát, az okklúziót és az esztétikát is aprólékosan ellenőriztük (13. ábra). A csavarok hozzáférési furatait Filtek Supreme rezinnel (3M ESPE)


töltöttük ki. A pácienst elláttuk instrukciókkal a szájhigiénia fenntartásáról és három-négy havi gyakorisággal fenntartó parodontális terápiát írtunk elő. 2 év elteltével klinikai és radiológiai kontrollvizsgálatot végeztünk (14–15. ábra). Az implantátum körüli kemény és lágy szövet kedvező állapotot mutatott. A páciens ezenfelül jobban megértette a szájüregi egészség fontosságát és a megfelelő szájhigiéné fenntartásának mikéntjét.
Kezelési eredmények
A páciens kimondottan elégedett volt az elért kezelési eredményekkel, tekintve, hogy már probléma nélkül tudott ét-
GENGIGEC.
Hialuronsav

Gengigel gél, 20 ml 4290 Ft

Gengigel gél - Az első fogaktól, 20 ml 4290 Ft

Következtetések
A fogeltávolítást követő azonnali implantáció egyre gyakoribb beavatkozás a klinikai gyakorlatban. Az azonnali implantáció a késői implantációval megegyezően kiszámítható eredményeket nyújt.
A menthetetlen fogak és parodontálisan érintett páciensek esetében ez a módszer kiváló lehetőséget biztosít a rehabilitációra, amennyiben a megfelelő periimplantáris higiéné biztosított.
(A hivatkozások listája szerkesztőségünkben megtalálható.)


Gengigel Spray, 20 ml 4290 Ft


Gengigel Hidrogél szájöblítő oldat, 150 ml

Gengigel First Aid öblögető oldat, 50 ml
Gengigel Fogínyvédelem fogkrém, 75 ml 3990 Ft 4990 Ft 4990 Ft
5 termék vásárlása esetén -10% KEDVEZMÉNY
10 termék vásárlása esetén -20% KEDVEZMÉNY
15 termék vásárlása esetén -30% KEDVEZMÉNY
Magyarországon forgalmazza: Pharmanext Kft. • 1085 Budapest, Stáhly u. 2/a • info@p www.gengigel.hu • Lezárás dátuma: 2024.09.05. PNXT-36/2024 armanext.�u
Dr. Carlo Massimo Saratti (Olaszország)
ESZTÉTIKUS, MINIMÁLINVAZÍV RESTAURÁCIÓ
TELJES EGÉSZÉBEN DIGITÁLIS
MUNKAFOLYAMATTAL


1. a-b ábra: Kiindulási extraorális fényképek.





2. a–e ábra: Kiindulási intraorális fényképek.
Esetbemutatás
Egy 42 éves férfi páciens jelentkezett rendelőnkben a mosolya megszépítésének a céljából.
A páciens tisztában volt a felső állcsont frontrégiójában elhelyezkedő fogainak és néhány hátsó fogának kopásával. Ez az állapot a dentin jelentős mértékű expozíciójához vezetett, amely nagyfokú érzékenységet és esztétikai problémát okozott a frontrégióban, különösen mosolygáskor (1. ábra). Emellett a fogak torlódása és Angle III. osztályú moláris viszony is látható volt, amely eltérést az okklúzióban, illetve III. osztályú kismetsző anomáliára és élharapásra való hajlamot eredményezett (2. ábra).
A páciens két-három évvel korábban egy másik klinikán fogászati kezelésen esett át, amely nem volt teljes körű, és az alsó molárisok, a jobb alsó második premoláris és a bal felső első premoláris kezelése befejezetlen maradt. A páciens kérése az volt, hogy a már elkészült restaurációkat, amennyiben azok még jó állapotban vannak, tartsuk meg.
Kezelés
Az első lépés az okklúzió vertikális dimenziójának (VDO, „vertical dimension of occlusion”) növelése volt okkluzális héjak felhelyezésével az abradált és erodált














3. ábra: Digitális lenyomat az okklúzióról. – 4. a–f ábra: A posterior fogpótlások tervezése az exocad programmal. 5. a–b ábra: Az okklúzió megemelésének vertikális dimenziója. – 6. a–b ábra: A fogszabályozás előtti és utáni állapot. 7. a–d ábra: Direkt anterior kompozit restaurációk az alsó fronégióban. – 8. a–b ábra: Wax-up a frontrégióban.


















8. c–e ábra: Mock-up a frontrégióban. – 9. a–f ábra: Vezető hornyok a preparációhoz. – 10. a–c ábra: A preparációt követő állapot. – 11. a–b ábra: Digitális lenyomatvétel a felső frontfogak koronáiról. – 12. ábra: A vastagság ellenőrzése. – 13. ábra: A végleges forma (hely a front rétegzés számára). – 14. a–b ábra: Végleges restaurációk.






fogakra, amelyek a következők voltak: 17-14, 2527, 34-es, 35ös és 44-es fogak. A megnövelt VDO-ról digitális lenyomatot vettünk a DEXIS IS 3800 W intraorális szkenner segítségével (Dental Imaging Technologies Corp.), az állcsontok centrális relációja közben, amelyet egy hátsó okkluzális rögzítővel stabilizáltunk (3. ábra).
A restaurációkat az exocad szoftverrel terveztük (4. ábra), és a lítium-diszilikát anyagot választottuk az elkészítésükhöz (5. ábra). A restaurációkat adhezív módon ragasztottuk be.
A VDO növelése után a páciens okklúziója a frontrégióban ideális volt az elülső vezetés helyreállításához, ami miatt szükségessé vált a páciens orthodonciai kezelése is (6. ábra).
A fogszabályozó kezelés befejezése után az alsó metszőfogak incizális éleit direkt módon, kompozittal állítottuk helyre (7. ábra).
Ezt követően elkészült a frontrégió esztétikai wax-upja, az esztétikai restauráció végleges validálása és a felső koronák minimálinvazív preparálásának támogatása érdekében (8. ábra). A végső preparálást a mock-up (9. ábra) segítségével végeztük, amely nagyrészt az aproximális területekre korlátozódott (10. ábra). Ezt követően az elülső koronákról fonalazást követően egy végső digitális lenyomatot vettünk (11. ábra).
A digitális tervezésnél a monolitikus restauráción a bukkális felszín alsó felét mérsékelten redukáltuk, hogy a lehető legjobb esztétikai eredmény elérése érdekében lehetővé tegyük a porcelán rétegzését (12-13. ábra). Végül a végleges restaurációkat (14. ábra) adhezív módon ragasztottuk be, a kofferdam izolálás mellett (15. ábra). A cementrögzítést követően néhány héttel kontrollvizsgálatot végeztünk (16-17. ábra).
Forrás: Digital 2023/3


15. a-b ábra: Ragasztási folyamat.
16. a-b ábra: Végső extraorális fényképek.
17. a–c ábra: Végső intraorális fényképek.












Számos olyan digitális munkafolyamat létezik, amelyet sikeresen
támogatott rehabilitációjának konzisztens és pontos eredményeinek
hiányosságai és korlátai miatt fotogrammetriás eszközök

sikeresen lehet alkalmazni a teljes állcsontimplantátummal eredményeinek eléréséhez. Jelenleg az értékesítési lánc
eszközök nem állnak rendelkezésre és hiánycikknek számítanak.
Dr.
Isaac D. Tawil, dr. Scott D. Ganz (Egyesült Államok)
DIGITÁLISAN KÉSZÍTETT TELJES FOGPÓTLÁS
Megállíthatatlan fejlődés a teljes állcsont implantációs
rehabilitációjában



1. a–c ábra: Közvetlenül a szövetre felvitt gumi- (a, b) vagy kompozitrögzítés (c), amelyek segítenek a pontos adatrögzítésben az intraorális szkennelés során.
Bevezetés
Az implantátumokkal történő teljes állcsont-rehabilitáció egyre népszerűbb megoldást jelent a funkció helyreállításában és javításában, az esztétika fokozásában és a páciensek életminőségének javításában. Az All-on-X teljes implantátumos rehabilitáció egyesíti a legújabb fejlesztések és technikai újítások előnyeit. Jelen közleményben tovább segítjük az eligazodást az új fejlesztések között, amelyek kihatással vannak a teljes állcsont-rehabilitáció analóg és digitális munkafolyamataira. Legutóbbi publikációink számos olyan aspektust mutattak be, amelyek segítséget nyújtottak a klinikusok számára a teljes állcsont-rehabilitáció mind sebészi, mind protetikai területén. Ide tartozik a CBCT-vezérelt sebészi alkalmazás [1], illetve az is, hogy mennyit fejlődött az implantátum protetikai pozíciójához viszonyított, behelyezéséhez szükséges vizsgálat a CBCT segítségével, ugyanakkor a szövődmények száma viszont csökkent.


Korábban már leírtunk egy kiegészítő sebészeti eljárást, amely során az eltávolított fogakat használtuk fel autológ csontpótláshoz. Ez a módszer nagymértékben segítette a gyógyulást és az alveolus hosszú távú stabilitását, bőséges graftmennyiséget biztosított, miközben pedig jelentősen csökkent az anyagköltség [2]. Az ezt követő publikációkban beszámoltunk a restaurációs idő és a kezelés eredményének javításáról az iJIG technológia [3] alkalmazásával. Ismertettük ezen felül a „small hole” technológiájának (C2F) alkalmazását a marással készült vagy a 3D nyomtatott ideiglenes restaurációk fizikai integritásának és anatómiájának javítása [4], illetve az állcsontok illeszkedésének és az okklúzió javításának céljából.
Ezen publikációk célja az volt, hogy javítsanak a kezelési időn, a hatékonyságon, a költségeken és a hosszú távú eredményeken a klinikusok, a fogtechnikusok és a betegek javára. Ezen legújabb cikk célja a restaurációk elkészítéséhez szükséges adatok regisztrációjával kapcsolatos aktualitások

2. a–c ábra: Fotogrammetria. Gyártóspecifikus scanbodyk (a). Extraorális fényforrás (iCam4D; b). Fotogrammetria szoftver (iMetric 4D; c).

3. a-b ábra: A Grammetry elemei a sínezéshez a nagyobb pontosság és stabilitás érdekében (a). Elkészült Grammetry intraorális szerkezet, amelyet hagyományos csavarokkal rögzítettünk a Multi-unit fejekhez (b).
bemutatása, és a Multi-unit felépítményeket (MUA, Multi-unit abutment) tartalmazó, csavarral rögzített, monolitikus teljes állcsont-restaurációk fejlesztése.
Adatgyűjtés
Mivel a fogászat továbbra is a teljes mértékben digitális megoldások irányába törekszik, az intraorális adatgyűjtő eszközök és az adatgyűjtési technológia fejlesztése és tökéletesítése megállás nélkül zajlik. Az intraorális szkennelés (IOS, intra-oral scanning) a gyorsasága és pontossága miatt megfelelő opciót jelent az analóg lenyomatok kiváltására. A natív IOS szoftveralkalmazások ma már számos olyan nagyszerű funkcióval rendelkeznek, amelyek javítják és racionalizálják a teljes egészében digitális protokollokat. Logisztikai limitációk miatt azonban az IOS-technológia használata a teljes állcsont implantációs rehabilitációjának esetében még mindig nehézkes és pontatlan, így a teljes mértékben digitális megoldások eléréséhez további alkalmazásokra van szükség.
Az All-on-X sebészeti és restaurációs protokollokhoz négy vagy több implantátum beültetése szükséges kedvező anterior-posterior elosztással, a hosszú távú eredmények elérése érdekében. Ezen implantátumok pozíciójának pontos, keresztülfutó IOS-szel történő rögzítése, különösen a mandibulán, a klinikusok és a fogtechnikusok számára is az egyik legnagyobb kihívást jelentette.
Az IOS-technológia stabil környezetet igényel az adatok pontos rögzítéséhez és összeillesztéséhez. Számos technológiát fejlesztettek ki, amelyek segítik a klinikust a bonyolult területek szkennelésében, amelyeket a nem megfelelő retrakció, a nyálfolyás, a stabil keratinizált lágyszövet hiánya és a szkennelt objektumok közötti nagy távolságok jellemeznek. A scanbodyk rugalmas szalagokkal vagy drótokkal való rögzítése (1. a–b ábra) például megkönnyítette, hogy a szkennerek megszakítás nélkül folytathassák a szkenne-
lést, mivel lineáris utat hoztak létre az adatrögzítéshez [5]. Az olyan innovatív technikák, mint a „szigma kompozit görbület” (1. c ábra) és a csonthoz rögzített referenciamarkerek szintén hozzájárultak a szkennelési folyamat fejlesztéséhez. [6] Míg ezek az eljárások egyeseknél működnek, másoknál nem, a fejlesztők alternatív munkafolyamatokat hoztak létre a pontos intraorális adatok gyűjtésének elősegítésére.
A fotogrammetria a fogászatban egy viszonylag új fejlesztés, amely forradalmasította a rögzítést és a pozícióanalízist [7]. A fotogrammetria egy olyan diagnosztikai és kutatási módszer, amely egy speciális, extraorálisan rögzített, fotogrammetriás scanbodykkal ellátott készüléket használ a 2D digitális képekből történő mérésekhez (2. a-b ábra). A fotogrammetriás szkennelések lehetővé teszik a fogorvosok számára, hogy a fogászati implantátumokhoz rögzített egyedi scanbodyk (2. c ábra) segítségével pontos méréseket végezzenek akár az implantátum sebészi behelyezésekor, akár azok felszabadítása után [8]. Bár a fotogrammetria rendkívül pontos az implantátumok pozíciójának rögzítésében, a lágyszövetek topográfiáját azonban nem rögzíti, emiatt egy


4. ábra: Grammetry scanbody függőleges és vízszintes meghosszabbításokkal, amelyek segítik a hálós kerethez való ragasztást. IOS = intraorális szkennelés; OEM = eredeti eszköz gyártója („original equipment manufacturer”).
második szkennelésre is szükség van intraorális szkenner segítségével. Az IOS-adatok ezután felhasználhatók egy virtuális 3D minta elkészítéséhez, amely az implantátumanalógok különböző paramétereinek mérésére használhatóak [9].


E mérések szoftveres összevetése felhasználható az implantátumok helyes pozicionálásának és a páciens okklúziójának igazításának értékelésére és validálására, a fogak mérete, távolsága és dőlésszöge tekintetében.
Az IOS és a fotogrammetria adatainak kombinációja a CAD-szoftver számára minden szükséges információt biztosít az ideiglenes fogpótlás, illetve a 3D-nyomtatásra vagy marásra szánt végleges restauráció virtuális elkészítéséhez. Ennek a rendkívül pontos technológiának a továbbfejlesztett funkciói teljesen digitális munkamenetet tesznek lehetővé. Csupán kevés esetben van szükség analóg mintákra az elkészítéshez vagy az ellenőrzéshez. Bár ezek a nagyszerű eszközök rendkívül pontosak, a kezdeti beszerzési költségek és az érzékeny komponensek anyagainak elérhetősége aggodalomra adhatnak okot.
A fotogrammetria költségeinek elkerülése érdekében alternatív, teljesen digitális munkafolyamatokat fejlesztettek ki, mint dr. Jonathan Abenaim XCell eljárása, amely megkönnyíti és egyszerűsíti az adatgyűjtést, és elkerüli a fotogrammetria szükségességét [10]. Ez a szabadalmaztatott munkafolyamat-protokoll megköveteli a hozzá kapcsolódó oktatást és a szabadalmaztatott scanbodyk használatát. A konzisztens és a pontos munka érdekében


5.a–l ábra: A teljes sablonos irányított sebészethez használt krómozott oszteotómiás fúróvezető (a). Multi-unit felépítmények az implantátumokhoz rögzítve (b). Ideiglenes PMMA fogpótlás lyukakkal a titáncilinderek befogadására (c). Ideiglenes fogpótlás a graft és a PRF-fedés felett, varrást követően (d). A gyógyult maxilla intraorális nézete (e). OptiSplint az intraorális rögzítést követően (f). Felvétel az ideiglenes pótlásról a csatlakoztatott analógokkal (g). Az FP-1-es Misch klasszifikációjú fogpótlás virtuális terve az exocadben (h, i). A végleges fogpótlás és az OptiSplint illeszkedésének ellenőrzésére szolgáló minta elkészítése (j). Végleges fémmentes monolitikus cirkóniumrestauráció Powerball csavarokkal rögzítve (k). A panoráma röntgenfelvétel igazolja a pótlás hibátlan illeszkedését és a hézagok nélküli zárást (l).


a protokoll egy speciális intraorális szkenner és CAM-egység használatát javasolja. Az eljárás dr. Abenaim Powerball csavarját ajánlja a végleges restauráció elkészítéséhez. Bár az ajánlások nem kötelező jellegűek, korlátozott támogatás áll rendelkezésünkre, amennyiben nem a javasolt komponenseket használjuk. A bizonyítottan működőképes XCell eljárás rendkívül hatékony, és megnyitotta az




utat más intraorális képalkotó technológiák további fejlesztése felé. Egy másik új lehetőség, a Grammetry (ROE fogtechnikai laboratórium), egy nyitott, átfogó sebészeti és restaurációs megoldásként került kifejlesztésre, amely nagyon hasonló és egyszerű eljárást kínál, jelentősen alacsonyabb költséggel. Míg a fotogrammetria egy drága készülék és drága



scanboyk használatát igényli, a Grammetry lehetővé teszi a fogorvos meglévő intraorális szkennerének használatát a rendelkezésre álló speciális alkatrészekkel együtt, minden egyes esetben.
Az analóg-digitális eljárás MUA-kompatibilis scanbodykat (OptiSplint) használ, amelyeket úgy terveztek, hogy egy alumíniumhálós keretet tartalmazzanak (3. a ábra). Ezeket a szék mellett egyedivé lehet alakítani (a szintén hozzátartozó vágószerszámmal) az implantátumok szájüregi elhelyezkedésének megfelelően. Ez a hálós keret kis és nagy méretben kapható az eltérő szájméretek és MUA-implantátumpozíciók szerint. A munkafolyamat során a scanbodykat intraorálisan helyezzük a Multi-unit felépítményekre (3. b ábra). A saját fejlesztésű scanbodyk hosszabbításokkal rendelkeznek (4. ábra), amelyek segítségével elérhető, hogy a háló a hosszabbításokhoz közel üljön és forogjon, ami megkönnyíti a rezinnel történő rögzítést (STELLAR DC Acrylic, Taub Products). Ez a struktúra ezután digitalizálható intraorális szkenner segítségével intraorálisan, vagy extraorálisan intraorális szkennerrel, továbbá asztali szkennerrel is. A scanbodyk hálós kerethez ragasztott sínezése egyszerű, megszakítás nélküli szkennelési utat tesz lehetővé. A Grammetry eljárás biztosítja a klinikus számára a fotogrammetria teljes mértékben digitális előnyeit, miközben analóg minták
gyártására is lehetőséget nyújt, amelyek a klinikai munkafolyamatban, a protetikai tervezés részeként artikulálhatók (5. ábra). Ezen kívül a Grammetry sínátvivő kulcsként is használható. A teljesen digitális Grammetry módszer a fogtechnikai laboratórium számára a teljes állcsontprotézisek tervezéséhez és gyártásához szükséges adatokat jelentősen alacsonyabb költségen biztosítja. Azok számára, akik rendelkeznek 3D nyomtatóval, és szeretnék megtervezni és kinyomtatni az ideiglenes fogpótlást, egy kalibrációs eszköz áll rendelkezésre a Grammetry készletében. Ez az eszköz biztosítja az alkalmazott rezinen alapuló, speciális nyomtatóbeállítások által elért passzív illeszkedést.
Titánbázis vagy nem titánbázis? Ez itt a kérdés!
Egy ideje már vita tárgyát képezi, hogy érdemes-e inkább a rögzített fogpótlások esetében a csavaros rögzítést választani a cementrögzítéssel szemben [11]. A restaurációs komponensek fejlődésével és a CAM-szoftverek és -hardverek képességeinek drámai javulásával a Multi-unitokat alkalmazó csavarrögzítés vált a választandó lehetőségnek a legtöbb teljes állcsont-rehabilitáció esetében, a monolitikus cirkónium-dioxid protézisekhez szükséges passzivitás miatt.

6. a–c ábra: A cirkóniumrestaurációk implantátumhoz való rögzítésének három módja. Hagyományos Multi-unit felépítmény (a). Titánstég (b). Titánbázis (c).
7. a–c ábra: A standard Multi-unit felépítmény csavarfejének méretei és a jelenlévő cirkónium (a-b) töréshez vezetett (c).
A teljes állcsont csavarral rögzített, keresztíves restaurációinak sikere a szubgingivális cement kiküszöbölésének és a protézisek passzív helyben maradásának tulajdonítható [12].
A csavarral rögzített, implantátumokon elhorgonyzott protézisek az elmúlt évtizedek során számos fejlesztésen mentek keresztül. [13]. A PMMA protézisek túl gyengének bizonyultak ahhoz, hogy hosszú távon ellenálljanak az okkluzális terhelésnek. A szilárdság javítása érdekében az akrilhoz fémmegerősítést adtak, de végeredményben hosszú távon még mindig magas volt a sikertelenség aránya. A fémkerámia restaurációk fejlődése hosszú távon jobb esztétikát és nagyobb élettartamot eredményezett, azonban a költsége meghatározó kérdéssé vált, és továbbra is előfordultak törések. Az anyagok szilárdságának és sokféleségének fejlesztése és a CAD/CAM technológia folyamatos fejlődése miatt felmerült más anyag használatának lehetősége is. A monolitikus cirkónium-dioxid vált a legszélesebb körben használt anyaggá a teljes állcsont implantációs rehabilitációjában [14, 15]. A marással készült és szinterezett cirkónium-dioxid struktúrát standard Multi-unit felépítménnyel, egyedileg mart titánstéggel vagy titánbázissal lehet elkészíteni (6. ábra). Ezeket a fém szubstruktúrákat kémiailag rögzítik a cirkónium-dioxid részhez. Kezdetben, bár a költségek jelentősen csökkentek, törések még mindig előfordultak, leginkább a rossz tervezés miatt.
A törés jellemzően a csavarok hozzáférési furatainak helyein, illetve a disztális meghosszabbítások területén fordult elő, amely az elégtelen anterio-posterior kiterjesztéssel magyarázható. A csavarok hozzáférési furatainak törése a korona és a felépítmény közötti határfelületen lévő elégtelen cirkónium-dioxid vastagságnak tulajdonítható. A Multi-unit fejekhez rögzített hagyományos protézisrögzítő csavarok 2 mm átmérőjű csavarfejjel rendelkeznek, amely így csak 0,25 mm-es találkozási felületet tesz lehetővé a koronai résszel (7. ábra). Így a hagyományos csavarfej és a titánbázis között mindössze 0,4 mm marad. Nehézségeket okoz és aggodalomra ad okot a csavarok meglazulása, törése és a titánbázisok leválása a cirkónium-dioxid struktúráról [16]. Mivel ezek a komplikációk és az egyébként elkerülhető retúrmunkák továbbra is jelen vannak, a fejlesztők alternatív megoldásokat keresnek.
A csavarlazulás, a titánbázis elengedése és a csavar hozzáférési furatának törése ellen számos új csavart fejlesztettek ki. Az elmúlt néhány évben e csavarok folyamatos továbbfejlesztése vezetett a fémmentes, monolitikus cirkónium-oxidból készült, teljes állcsont-restaurációk kifejlesztéséhez. Ennek eredményeként sok esetben megszűnt a fémrészekhez szükséges túlzott csontredukció szükségessége, ami az FP-3-hoz képest több lehetőséget biztosít a Misch-féle FP-1 osztályozású restaurációk esetében [17]. E csavarok némelyike vastagabb cirkónium-dioxidot engedélyez a MUA és a csavarfej között. A megnövelt vastagság engedélyezése ezen érzékeny területen tovább csökkenti a cirkónium-dioxid törésének kockázatát a csavar hozzáférési furatának területén. Az újabb csavarok általában kúpos vagy lekerekített csavarfejjel rendelkeznek, ami jobb retenciót tesz lehetővé azáltal, hogy apikális irányban az oldalsó falakra nyomást gyakorol, csökkentve ezzel a csavarok meglazulásának esélyét.

8. a–c ábra: Egyenes hozzáférési furat (a). Maximum 15°-ig ferde hozzáférési furat (b). Egyenes és ferde hozzáférési furatok, illetve azok eltérő pozíciója a megnövelt szilárdság és esztétika érdekében a Multi-unit felépítményekben (c). 8a 8b
Néhány ilyen újabb csavarkialakítás alkalmas ferde hozzáférési furat létrehozására. A ferde hozzáférési furattal történő korrekció széles körben elterjedt a szólóimplantátumok esetében [18]. Korábban a multi-unitos, teljes állcsont-restaurációk szögeltérési korrekciójához egy nagyobb angulációjú Multi-unitot kellett használni. A MUA implantátumhoz rögzítése és a szkennelt adatok rögzítése után a hozzáférési furat módosításához egy megnövelt dőlésszögű, másik MUA behelyezésére van szükség. Ez akkor válik problémássá, ha már megterveztük az ideiglenes vagy végleges restaurációt, és a fogak pozíciójának megváltoztatására van szükség. Gyakran előfordul, hogy a hozzáférési furatok ezen változtatások hatására esztétikai vagy potenciálisan sérülékeny területekre esnek (8. ábra). A Multi-unit fejek dőlésszöge limitált, az egyes komponensek gyártóitól függően változik. Ahelyett, hogy kicserélnénk a MUA-t, és az ideiglenes rögzítés nehézségeivel küzdenénk, az újabb MUA csavartechnológiák némelyike lehetővé teszi, hogy a MUA a helyén maradjon, és a csavar hozzáférési furata akár 25°-os szöget is elérjen. Az egyik ilyen szempontból egyedülálló módon tervezett csavar a Grammetry Vortex LA VIS (9. ábra). Ez a csavar különböző függőleges irányú mélységeket képes biztosítani. Ez a funkció lehetővé teszi

8c

9. ábra: A Grammetry Vortex LA VIS csavar közvetlenül a Multi-unit felépítményhez csatlakozik, lehetővé téve a cirkónium-dioxid vastagságának növelését a rendelkezésre álló interokkluzális hely függvényében. (Fotó © Dr. Danny Domingue)
a közvetlen elhelyezést a Multi-unit fejen, a titánbázison vagy a titánstégen, egyszerűen a csavar magassági pozíciójának beállításával. Amennyiben szükséges, az állítható vertikális pozíció lehetővé teszi több vagy kevesebb cirkó-
nium-dioxid jelenlétét, a rendelkezésre álló interokkluzális helytől függően. A ferde hozzáférési furatok meglétén kívül az ideális hozzáférési furat pozíciója és mélysége is kialakítható.
Grammetry rendszer
Grammetry csavar
• Szögtört csavar hozzáférési furat Lefelé és kifelé irányuló nyomás Változó magasságok különböző anyagok esetében
117 Ncm-es lazítási nyomaték
• Széles csatorna

Rosen csavar
• Kifelé irányuló nyomás Ék alakú csatorna –nehéz marás
DESS 19.018-P10 csavar
• Lefelé irányuló nyomás Szűk csatorna Derékszögű behelyezés
Powerball csavar
• Lefelé és kifelé irányuló nyomás Zárt rendszer
10. ábra: Az új és innovatív csavartechnológia jellemzői és előnyei, kialakítás és nyomaték információkkal.

11. a–e ábra: Az intraorális röntgenfelvétel-sorozat cariest és periapikális elváltozásokat mutatott ki (a). Alsó és felső intraorális felvételek (b, c). CBCT felvétel a diagnózis és a kezelési terv felállításához (d). A preoperatív fényképen az alsó fogív fordított görbülete és gyenge esztétikája látható (e).
Ezért az ebben a cikkben ismertetett, innovatív adatrögzítési és validálási módszerekkel, továbbá az újabb csavartechnológia alkalmazásával a gyártási folyamat hatékonysága és

pontossága növelhető. Ezen túlmenően bemutatásra került, hogy a ferde hozzáférési furattal rendelkező csavarokkal jobb esztétikai eredmények érhetők el (10. ábra).







12. a–c ábra: A Smart Dentin Grinder használatával az eltávolított fogakat használtuk autológ csontpótló anyagként. 13. ábra: Irányított oszteotómia a Universal Shaper fúró és a CHROME GuidedSMILE használatával.
Esetbemutatás
Az alábbi eset ismerteti a Grammetry innovatív csavartechnológiával kombinált felhasználásának a jellemzőit és az előnyeit. Egy 63 éves férfi beteg jelentkezett rendelőnkben, negatív kórtörténettel, mindkét állcsontját érintő, hiányos fogazattal. Diagnosztikai adatgyűjtést végeztünk, beleértve a teljes száj digitális röntgenfelvételeit (RVG 6200, Carestream Dental; 11. a ábra), az intraorális felvételeket (Medit i700 wireless; 11. b-c ábra), a nagy látómezejű CBCT-vizsgálatot (Carestream

9600; 11. d ábra), valamint az intra- és extraorális fotókat (11. e ábra). Az alsó állcsontban egy retineált szemfogat, valamint számos mobilis és fájdalmas fogat detektáltunk.
A felső állcsonton hasonló állapotot regisztráltunk: romló, fájdalmas, mobilis fogak és kiterjedt carieses léziók. Habár a mandibulán szignifikáns csontveszteséget tapasztaltunk, az okkluzális magasság (VDO, vertical dimension of occlusion) lehetővé tette az FP-1 típusú protézis elkészítését mindkét állcsont esetében.




14. a–e ábra: Az ideiglenes fogpótlás fotója (a), amely a „C2F small hole” technológiával készült (b). Kéthetes posztoperatív mosoly (c). A kéthetes posztoperatív panorámaröntgen és az intraorális fotók kiváló gyógyulást mutatnak (d, e).


15. a–h ábra: Arcfelvétel a mosolytervezéshez és a középvonal vizsgálatához (a). A Grammetry munkafolyamat intraorális szkennelése a fogtechnikára történő átvitelhez (b). Fotogrammetria scanbodyk használata a Grammetry implantátumok pozíciójának validálásához (c, d). 3D-nyomtatott alsó és felső restaurációk az ellenőrző mintákon (e, f). Grammetry OptiSplint használata az implantátumpozíciók rögzítéséhez és a mintakészítéshez (g, h).








16. a-b ábra: A panorámaröntgen a Grammetry Vortex LA VIS csavarokkal rögzített, nyomtatott fogpótlásokat mutatja (a).
Ezek intraorális képe (b).
Az adatok értékelése alapján több kezelési tervet is kidolgoztunk és prezentáltunk a páciens számára. A mérlegelt kezelési koncepciók között szerepelt a kivehető fogpótlások megtámasztásához elég stabilnak megítélt fogak megmentése; az implantáció rögzített és kivehető protézisek kombinációjával; az implantátumokon elhorgonyzott overdenture protézisek; és a teljes szájimplantátumokkal történő rehabilitációja. A különböző kezelési javaslatok áttekintése után a páciens a legutóbbi lehetőséget választotta.
A regisztrált adatokat, valamint az előzetes terveket az implantálandó területekről (Blue Sky Plan, Blue Sky Bio) elküldtük a fogtechnikának (ROE Dental Laboratory) áttekintésre. A CBCT-vizsgálatból származó 3D-s adatokat ezután összevontuk az IOS-adatsorral, az esetek restaurációs célú megoldásának meghatározására. A fogtechnika ezután CAD-szoftver segítségével megtervezte az ideiglenes, teljes, csavarral rögzített fogpótlásokat, a protézisekhez szükséges, tervezett VDO-értékek mellett. A 3D-ben rekonstruált csontvolumen segítségével vizualizált fogpozíció által könnyebb volt meghatározni a legkedvezőbb helyeket az implantátumok beültetésére. A fogtechnikával virtuális, távoli tervezést végeztünk a teljes sablonos, irányított műtéti terv véglegesítése céljából (CHROME GuidedSMILE, ROE Dental Laboratory), amely a VDO 2 mm-es növelését is magában foglalta. Az esetet elküldtük gyártásra. A CHROME GuidedSMILE protokoll több komponensből áll, amelyek kombinálható megoldásokat nyújtanak: fémvázat a csontredukció ellenőrzésére, az oszteotómiák előkészítésére, teljes sablonokat az implantátumok behelyezésére, az implantátum mélységének, útjának és rotációs indexelésének ellenőrzésére, a Multi-unit fejek pozicionálására és az ideiglenes restaurációk átadására [1].
A műtétet mindkét állcsonton egy ülés alatt végeztük el intravénás szedációban. Az összes meglévő fogat eltávolítottuk, majd a kiválasztott fogakat a Smart Dentin Grinder (KometaBio) segítségével porítottuk és sterilizáltuk, hogy autograft csontpótlóként használhassuk fel [2] (12. ábra) Biológiai fúrórendszert alkalmaztunk az anatómiai alveoláris csont alakításához (Universal Shapers), (13. ábra). Az alveoláris csonthoz gyémántfúrókat alkalmaztunk mind az implantátumok, mind a hézagfogak területének esetében. Ennek célja az volt, hogy a kezdeti adatgyűjtés alapján megállapított fogméreteknek megfelelően, fokozott esztétikát
biztosító emergenciaprofilokat hozzunk létre. A műtét eseménytelenül zajlott, leszámítva egy enyhe szövődményt a retineált alsó szemfog eltávolítása során. Az implantátumok stabilitását rezonanciafrekvencia-analízissel (implantátumstabilitási hányados) mértük a terhelés validálásának érdekében. A Multi-unit felépítményeket a műtéti tervezés során előre meghatározott rotációs pozíciók alapján rögzítettük az implantátumokhoz. A csonthiányos területeket és a többi alveolust ezután őrölt dentin autografttal augmentáltuk, trombocitadús fibrinmembránnal fedtük be, és a gyógyulási csavarok köré varratokat helyeztünk. Az ideiglenes fogpótlásokat a C2F protokoll szerint készítettük el (14. a-b ábra) [4]. Az egyénre szabott módosításokat és a polírozást követően az ideiglenes fogpótlásokat behelyeztük, és hagytuk gyógyulni (14. c-e ábra).
Az ezt követő posztoperatív kontrollok során a páciens rendkívül elégedett volt az újonnan rehabilitált fogazatával. Mivel az előzetes ideiglenes fogpótlásokat a vágyott virtuális végeredmény alapján terveztük meg, a végleges fogpótlásokhoz volt lehetőség változtatni. A fogak kezdeti méretében és középvonalbeli helyzetében enyhe eltérést tapasztaltunk, és ezt mind regisztráltuk annak érdekében, hogy a monolitikus cirkónium-dioxidból készült restaurációk véglegesítése során a hibákat korrigálni lehessen. A páciens jól tolerálta a VDO 2 mm-es növelését, és az okklúzió minimális módosítását digitális artikulációval (OccluSense, Dr. Jean Bausch) végeztük el. A szövetek fiziológiásan gyógyultak, eltekintve az alveoláris magasság és a lágyrészek kisebb mértékű veszteségétől a retineált szemfog eltávolításának helyén.
Négy hónap elteltével a páciens visszatért, hogy befejezzük a protézisek véglegesítését. Elkészültek a végső felvételek, beleértve az új digitális szkennelést és a fényképeket. Fotóztuk a páciens mosolygó és nem mosolygó profilját, valamint az okklúzióját. A digitális szkennelés magában foglalta a CBCT készülékkel készített arcfelvételt, a mandibuláris és maxilláris lágyrészek szkennelését scanbodyk (DESS) segítségével, a harapásregisztrációt, az ideiglenes fogpótlások iJIG szkennelését a fogak pozicionálásához [3], illetve a fotogrammetriás (iCam4D, iMetric 4D) és a Gammetry szkennelést (15. ábra). A Grammetry extraorális szkenneléseket az összehasonlítás érdekében mind az intraorális szkennerrel, mind egy extraorális asztali szkennerrel (Medit T710) is elvégeztük.
16a 16b
Nagy látómező

Touchpad egyszerű navigáció 10 bites technológia
i900
ALL IN ONE ALL IN ONE intraorális szkenner a könnyed szkennelési élményért
360 fokos érintőgyűrű ki- és bekapcsolás bármilyen szögből
Résmentes készülékház kiemelkedő higiénia
Mindössze 165g (fejjel együtt)

Kis létszámú MEDIT hands-on kurzusok soproni bemutatótermünkben. Információ: +36 20 9510368
9400 Sopron, Faller Jenő u. 5 | Tel.: 99/508-698 | Fax: 99/508-696 iroda@dentalplus.hu | www.dentalplus.hu
BCW Irodaház . 1113 Budapest, Nagyszőlős u. 11-15. / I. emelet (Budapesti bemutatótermünkben előzetes egyeztetés alapján tudjuk fogadni Önöket!)



17. a–c ábra: A végső panorámaröntgen a cirkónium fogpótlás rögzülését mutatja (a). Ennek intraorális felvétele (b). A végső mosoly a páciens elégedettségét és a kiváló esztétikát mutatja (c). 17a
Az összegyűjtött adatokat a mosolytervezés korrekciójához szükséges módosításokkal együtt egy szkennelő szoftverportálon (Medit Scan for Clinics) keresztül elküldtük a fogtechnikai laboratóriumnak. A tervezőszoftver (exocad) fejlett tervezési funkciói segítségével korrigáltuk a középvonalat és a fogak méretét. A 3D-nyomtatott alsó és felső PMMA restaurációkat a „Direct-to-MUA” csavarok (Vortex LA VIS; 16. a ábra) segítségével próbáltuk be. Az illeszkedést, a fonetikát, az esztétikát és az okklúziót digitális artikulációval (OccluSense; 16. b ábra) ellenőriztük. A páciens rendkívül elégedett volt a fogpróbákkal. Mivel nem volt szükség korrekcióra, a páciens a fogpróbákkal mint extra erős rezinből készült új ideiglenes fogpótlásokkal távozhatott. Az új ideiglenes fogpótlásokat tíz napig hordta a forma és a funkció ellenőrzésének céljából. Kiválasztottuk a végleges színt, majd a fogtechnika elkészítette fogpótlásokat fémmentes monolitikus cirkónium-dioxidból.
A végleges restaurációkat tíz nappal később passzív módon és pontosan, probléma nélkül helyeztük be Vortex LA VIS csavarok segítségével. Kontrollvizsgálatot végeztünk fényképekkel, röntgenfelvételekkel, továbá digitális artikulációval az illeszkedés, a funkció, a fonetika és az okklúzió ismételt ellenőrzésének céljából (17. a ábra). A páciens rendkívül elégedett volt a végleges fogpótlással, a folyamatot életmódváltónak és meglepően gyorsnak nevezte ahhoz képest, amit a teljes szájüregi implantációs terápiáról hallott. A befejező rész gyorsaságával különösen elégedett volt (17. b-c ábra).
Következtetések
Pontos diagnózissal és kezelési tervvel ideális körülmények között az állcsont vagy akár a teljes szájimplantátummal történő rehabilitációja rövid idő alatt elvégezhető. A restaurációs szemléletű, irányított műtét alkalmazása javíthatja a pontosságot, valamint garantálhatja a megfelelő implantátumbeültetést, beleértve az implantáció mélységét és angulációját is. Az adatgyűjtés akár a műtét idején, akár posztoperatívan javíthatja a pontosságot és a befejezés gyorsaságát.
Jelen esetben a lágyszöveti topográfia rögzítésére szolgáló digitális és analóg eljárásokat, valamint a restaurációk int-
raorális pozíciójának igazításához és validálásához elengedhetetlen iJIG ideiglenes restaurációk használatát, valamint a Grammetry és a fotogrammetria alkalmazását ismertettük. A hézagok pontosan kimutathatók és beállíthatók, hogy a tervezőszoftverek segítségével kitölthetők legyenek. Egy 2D profil fotó vagy még jobb esetben egy 3D arcszkennelés alkalmazásával a fogak pozíciója, mérete és alakja könnyen beállítható a jobb fogpróba vagy végleges restauráció érdekében.
Jelen esetben három módszert alkalmaztunk az adatok rögzítésére az összehasonlítás érdekében. Az elsőt, a fotogrammetriát, az implantátumpozíció pontosságának szempontjából elismert gold standardnak tekintik. A második, a Grammetry, az új OptiSplint analóg rögzítési protokollokat használta. A harmadik, a digitális rögzítés, a Grammetry OptiSplintet használta, amelyben az intraorális szkenner és az extraorális asztali felvételeket elemeztük és hasonlítottuk össze. A Grammetry OptiSplint extraorális asztali felvétele szinte azonos volt a fotogrammetriás felvétellel a két adatkészlet egymásra helyezésekor. A Grammetry sín extraorális asztali rögzítése minimálisan jobb eredményeket hozott, mint az extraorálisan rögzített intraorális felvétel. Bár az eredmények az intraorális szkennerekhez kapcsolódó emberi hiba miatt kissé pontatlanabbak lehetnek, mégis több mint elfogadhatóak voltak, mivel a CAD/CAM-egységek tűréshatárai megakadályozzák a kapott eredményeken túli marást. A Grammetry eljárás használatának további előnye, hogy fizikailag is készíthető minta, ami lehetővé teszi az analóg bepróbálást mind a nyomtatott, mind a marással készült restaurációk készítéséhez.
Összefoglalás
Számos olyan digitális munkafolyamat létezik, amelyet sikeresen lehet alkalmazni a teljes állcsontimplantátummal támogatott rehabilitációjának konzisztens és pontos eredményeinek eléréséhez. Jelenleg az értékesítési lánc hiányosságai és korlátai miatt fotogrammetriás eszközök nem állnak rendelkezésre és hiánycikknek számítanak. Ezzel ellentétben a Grammetry protokoll elemei rendelkezésre állnak, továbbá olcsóbbak is. Jelen esetbemutatás során megállapítottuk, hogy a Grammetry analóg-digitális protokollja a fotogrammetria hatékony, megfizethető és pontosságában megegyező alternatívájaként használható. A szükséges felvételekkel kombinálva a Grammetry képes az implantátumpozíciók teljesen digitális rögzítésére, miközben analóg mintákat biztosít, amennyiben szükséges az artikuláció és a restauráció elkészítéséhez. Az adatok rögzítése akár a műtét napján, akár később jelentősen javíthatja a fogtechnikai laboratóriumi kommunikációt, továbbá csökkentheti a végleges fogpótlások gyártási idejét, miközben támogatja a magas szintű pontosságot, javítva az általános klinikai és páciensélményt. Az eset bemutatásához használt protokollok és anyagok további vizsgálata ajánlott, mivel folyamatosan keressük a leggazdaságosabb és legpontosabb digitális munkafolyamatokat.
(A hivatkozások listája szerkesztőségünkben elérhető.)
Forrás: Digital 2024/1
QUO VADIS FOGÁSZAT?
Miközben a fogászatban felgyorsult a technológiai fejlődés, a rágószerv funkcionális zavarára (craniomandibuláris diszfunkció), gyógyítására és megelőzésére nem születtek érdemi válaszok.
Ezt a hiányt igyekszem pótolni A FIATALÍTÁS FOGÁSZATI KEZELÉSSEL című digitális könyvemmel.
Ötven éves kutatómunkám és gyakorlati tapasztalatom azt mutatja, hogy a sikertelen fogászati kezelések leggyakoribb oka a hibás harapás okozta ízületi fej kényszerhelyzet.
Az állkapocsízület kezelése tipikusan a legkevésbé értett téma, mégis remélem, hogy könyvem elolvasása után összeáll a puzzle-kép és Ön megkapja a kulcsot az eredményesebb gyógyításhoz. Rendelje meg A FIATALÍTÁS FOGÁSZATI
című digitális könyvet! – Ára: 18 000 Ft

Tartalom:
1. fejezet Bevezetés
2. fejezet A harapás tudományának története
3. fejezet Élettani és anatómiai összefüggések
4. fejezet Rutin fogászati gyakorlat
5. fejezet Az általam végzett gyakorlat
6. fejezet A harapás mérése
7. fejezet Mechanikus axiográfia


8. fejezet Becsiszolás
9. fejezet A megfiatalítás esztétikai feltétele
10. fejezet Még néhány gondolat
11. fejezet Magamról
12. fejezet Utószó Függelék
A Centrocc-módszer gyakorlata

Sergio Ruiz, dr. Marga Achútegui (Spanyolország)
VÉGLEGES ÉS MINIMÁLISAN INVAZÍV TRAUMAELLÁTÁS KARAKTERIZÁLT HIBRID KERÁMIÁVAL
Ha a fiatalkori vegyes fogazatban bekövetkezett koronatörésnél a letört darabok elvesztek, a fogorvos azzal a nehéz kérdéssel találja magát szemben, miként lehetne egy ilyen sérülést a legjobban kezelni. A kisebb defektusok ma már jól kezelhetők direkt kompozittal, ez azonban nagyobb töréseknél nem működik tartósan. Az ideális indirekt fogpótlási anyagnak lehetővé kell tennie az abszolút minimális invazivitást, hogy ne gyengítse tovább az amúgy is súlyosan károsodott fogat, illetve hogy a beavatkozás során kizárja a pulpa iatrogén károsodását. Másrészt a poszttraumás fogpótlásoknak, különösen vegyes fogazatban, funkcionálisan harmonizálniuk kell a fog természetes keményszövetével, és bármikor adaptálhatónak kell lenniük. Sergio Ruiz fogtechnikus, a Genlab* estudio creativo dental vezetője (Barcelona, Spanyolország) és dr. Marga Achútegui fogorvos (Donostia-San Sebastián, Spanyolország) az alábbi esetismertetésben mutatja be, hogyan oldottak meg egy ilyen esetet a polikromatikus VITA ENAMIC multiColor hibrid kerámia és a VITA AKZENT LC kompozit festékrendszer segítségével (mindkettő VITA Zahnfabrik, Bad Säckingen, Németország terméke).

1. kép: A klinikai kiindulási állapot: koronatörés a 11-es és 21-es fogon.
Klinikai kiindulási állapot
Egy 11 éves női páciens a 11-es és 21-es fogakat ért trauma miatt jelentkezett a rendelőben. A fogmeder mindkét oldalon sértetlen volt, a fogak pedig a traumás erőbehatás ellenére sem mutattak lazulást vagy elmozdulást. A sulcus szondázása szintén nem szolgáltatott bizonyítékot a gyökértörésre. A perkussziós teszt eredménye mindkét fogon negatív volt. Mindkét fogon koronatörés mutatkozott a zománcban és a dentinben, amelyek teljes egészében a supragingivalis, illetve az isogingivalis területen futottak. A 11-es fogon komplikált koronatörés volt látható, szélesen megnyílt pulpával. A hosszabb expozíció és a negatív hideg teszt alapján ezen a fogon gyökércsatorna-kezelésre került sor. Mivel a 21-es fognál a pulpa nem volt nyitott, a fog sebterületeit az első sürgősségi kezelés során megtisztítottuk, majd adhezív technikával, 3M Scotchbond Universal és RelyX Ultimate rögzítő kompozit segítségével (mindkettő 3M, Seefeld, Németország terméke) lefedtük, így meg tudtuk őrizni a fog vitalitását. A fog letört darabjai elvesztek, emiatt azokat már nem lehetett ragasztással visszahelyezni.

2. kép: A minimálisan invazív zománcpreparálás intraorális szkennelése.


3. kép: A virtuális modell okkluzális nézete. – 4. kép: A biogenerikus adatbankból 360 fokos héjakra érkezett javaslat.

5. kép: A biogenerikus javaslatokat a morfológiához igazítottuk.

6. kép: Preparálás és végleges tervezet virtuálisan egymásra helyezve.

7. kép: A 360 fokos héjak virtuális tervei a 11-es és 21-es fogon, oldalnézetben.

8. kép: A két fogpótlás a kidolgozás, karakterizálás, glazúrozás és polírozás után.


...és ami mögötte van biztos megoldás a fogászati szakma elérésére

9. kép: A rendkívül esztétikus és minimálisan invazív hibrid kerámia fogpótlások a 11-es és 21-es fogon.
A választott anyag: hibrid kerámia
A defektusok túl nagyok voltak egy direkt kompozit felépítéshez, ezért megfelelő indirekt anyagot kellett találni. A VITA ENAMIC hibrid kerámia egy porózus, előszínterezett földpátkerámia blokkból áll (86 tömegszázalék), amelyet aztán nyomás és hőhatás alatt polimerrel infiltrálnak [1]. A duális, összefonódott hálós szerkezet olyan anyagtulajdonságokat eredményez, amelyek alkalmassá teszik traumák végleges, minimálisan invazív kezelésére. Mivel VITA ENAMIC-ból hajszálvékony restaurációk készíthetők, így a pácienseket teljes mértékben minimálisan invazív [2] és tartós fogpótlásokkal lehet ellátni [3]. A kerámiában lévő mikrorepedések a polimerrel érintkező határfelületen állnak meg [4]. Megbízható adhezív rögzítésének köszönhetően az anyag nem igényel retenciós preparálást. [5] A hibrid kerámia bármikor kiegészíthető kompozittal, illetve egyszerűen csiszolható és polírozható, amely morfológia és funkcionalitás terén további mozgásteret biztosít, különösen vegyes fogazat esetén [6-7]. A hosszú távú klinikai vizsgálatok szerint az anyag zománchoz hasonló abráziója gondoskodik a harmonikus funkcionális integrációról, és megakadályozza a korai érintkezést és a parafunkciókat [8]. A hibrid kerámia rágóerő-elnyelő tulajdonságai – akárcsak a természetes fogak – tehermentesítik a rendszert [9].
Digitális munkamenet és karakterizálás
Egy külön ülés során helyileg érzéstelenítettük a 11-es és 21-es fogat, majd a fog eredeti morfológiájának figyelembevételével csak a zománcot csiszoltuk meg leheletvékonyan a 360 fokos héjak számára, és csupán minimális vállat alakítottunk ki. A fogíveket és a fogak záró harapásos helyzetét ezután Primescan segítségével digitalizáltuk. A 360 fokos héjak inLab szoftverben, virtuálisan lettek megtervezve, és egy CEREC MC XL csiszolóegységen (mindegyik Dentsply Sirona, Bensheim, Németország terméke) lettek kimarva VITA ENAMIC multiColor HT 1M2 anyagból. A kidolgozás után az illeszkedést egy additív módon gyártott kontrollmintán ellenőriztük. Ezt követte a hibridkerámia-felszínek fluorsavas maratása és szilanizálása, így az árnyalat-gazdag VITA AKZENT LC kompozit festékrendszerrel betegspecifikusan végezhettük a karakterizálást. A fluorózist az incizális harmadban VITA AKZENT LC white és cream színnel állítottuk helyre. Cervikális régióban ecsettel egy leheletnyi khaki, approximálisan pedig némi orange színt vittünk fel. A homogén fényességi szintet a VITA AKZENT LC GLAZE-zel sikerült elérni. Végül a 430 nmnél rövidebb hullámhosszú UV-fénnyel végzett kikeményítés után következett a magas fényre polírozás.
Beillesztés és összegzés
A lumen oldali fluorsavas maratást és szilanizálást követően sor kerülhetett a két 360 fokos veneer teljes adhezív módon történő behelyezésére. Az integrált színátmenetnek és a pácienshez igazodó, egyéni karakterizálásnak köszönhetően a két fogpótlás teljesen harmonikusan illeszkedett az esztétikai zónába. A világszerte egyedülálló, polikromatikus VITA ENAMIC multiColor hibrid kerámia és a VITA AKZENT LC kompozit festékek kombinációja lehetővé tette a traumás defektusok indikációnak megfelelő, a páciens javát szolgáló, minimálisan invazív kezelését. A VITA ENAMIC-ból készült minimálisan invazív vagy akár non-invazív fogpótlások több klinikai vizsgálatban bizonyították hosszú távú esztétikai és funkcionális potenciáljukat [10-13]. A fogak áttörése miatt várható változások ellenére olyan végleges fogpótlások készülhettek, amelyek kopása a fogzománcéhoz hasonló, illetve morfológiai szempontból és funkcionálisan bármikor adaptálhatók. Az ifjú hölgypáciens nagyon elégedett volt új mosolyával.
1 Coldea A, Swain MV, Thiel N. Mechanical properties of polymer-infiltrated-ceramic-network materials. Dent Mater 2013 Apr; 29(4): 419-26.
2 Alghauli M, Alqutaibi AY, Wille S, Kern M. Clinical outcomes and influence of material parameters on the behavior and survival rate of thin and ultrathin occlusal veneers: A systematic review. J Prosthodont Res 2023 Jan 6; 67(1): 45-54.
3 Ohse L, Stona D, Sly MM, Burnett Júnior LH, Spohr AM. Fracture strength of teeth restored with milled ultrathin occlusal veneers made of polymer-infiltrated ceramic. Braz Dent J 2021 Sep-Oct; 32(5): 105-113.
4 Dirxen C, Blunck U, Preissner S. Clinical performance of a new biomimetic double network material. Open Dent J 2013 Sep 6; 7: 118-22.
5 Conejo J, Ozer F, Mante F, Atria PJ, Blatz MB. Effect of surface treatment and cleaning on the bond strength to polymer-infiltrated ceramic network CAD-CAM material. J Prosthet Dent 2021 Nov; 126(5): 698-702.
6 Al-Turki L, Merdad Y, Abuhaimed TA, Sabbahi D, Almarshadi M, Aldabbagh R. Repair bond strength of dental computer-aided design/computer-aided manufactured ceramics after different surface treatments. J Esthet Restor Dent 2020 Oct; 32(7): 726-733.
7 Jurado CA, Tsujimoto A, Watanabe H, Fischer NG, Hasslen JA, Tomeh H, Baruth AG, Barkmeier WW, Garcia-Godoy F. Evaluation of Polishing Systems for CAD/CAM Polymer-Infiltrated Ceramic-Network Restorations. Oper Dent 2021 Mar 1; 46(2): 219-225.
8 Ludovichetti FS, Trindade FZ, Werner A, Kleverlaan CJ, Fonseca RG. Wear resistance and abrasiveness of CAD-CAM monolithic materials. J Prosthet Dent 2018 Aug; 120(2): 318.e1-318.e8.
9 Furtado de Mendonca A, Shahmoradi M, Gouvêa CVD, De Souza GM, Ellakwa A. Microstructural and Mechanical Characterization of CAD/CAM Materials for Monolithic Dental Restorations. J Prosthodont 2019 Feb; 28(2): e587-e594.
10 Oudkerk J, Eldafrawy M, Bekaert S, Grenade C, Vanheusden A, Mainjot A. The one-step no-prep approach for full-mouth rehabilitation of worn dentition using PICN CAD-CAM restorations: 2-yr results of a prospective clinical study. J Dent 2020 Jan; 92:103245.
11 Peampring C. Restorative management using hybrid ceramic of a patient with severe tooth erosion from swimming: a clinical report. J Adv Prosthodont 2014 Oct; 6(5): 423-6.
12 Chirumamilla G, Goldstein CE, Lawson NC. A 2-year Retrospective Clinical study of Enamic Crowns Performed in a Private Practice Setting. J Esthet Restor Dent 2016 Jul;28(4): 231-7
13 Spitznagel FA, Scholz KJ, Strub JR, Vach K, Gierthmuehlen PC. Polymer-infiltrated ceramic CAD/CAM inlays and partial coverage restorations: 3-year results of a prospective clinical study over 5 years. Clin Oral Investig. 2018 Jun; 22(5): 1973-1983.











ERŐS FOGAK ÉS EGÉSZSÉGES
SZÁJ – MEGGYŐZŐ MOSOLY
A száj és a fogak nemcsak a táplálkozás és az emberi kommunikáció fontos részei, de esztétikai szempontból is jelentős szerepük van. Az egészséges fogak és fogíny egészségünk meghatározó elemei, a hibátlan, derűs mosoly pedig minden egyén kívánsága.

Nem csak a fogak fájnak
Az íny leggyakoribb gyulladásos megbetegedése a gingvitis vagy fogínygyulladás, mely legtöbbször a rossz szájhigiénia következményeként jön létre. A begyulladt és vérző fogíny a rossz lehelet mellett a betegség első jele. A gingvitist tehát gyógyítani kell, mert különben a gyulladás előrehaladott állapotában a gyulladt íny gócként szerepel, mely gócbetegségeket okozhat.
Az egészséges ember szájában folyamatosan jelen vannak mikroorganizmusok, amelyek szaporodása az íny gyulladásához vezet, és idővel a fogágy többi része is érintett lesz, paradontitis jelentkezhet. A tasakok mélyebbek lesznek, ezért a gyulladás ráterjed a mélyebb paradontális szövetekre is. A fogágygyulladás következtében a fogakat rögzítő szövetek elbomlanak, a betegség pedig átterjedhet az állkapocs csontszövetére is. Ennek együttes következménye, hogy a fog tartószerkezete meggyengül, elbomlik, így a fogak meglazulnak, majd kihullanak.
A
hialuronsav a kötőszöveténekfogágy fontos komponense
A hialuronsav a szervezet természetes anyaga és az egészséges fogíny fontos komponense. Alkalmazása a fogászatban: – csökkenti a szájnyálkahártya-irritációt
– megvéd a fertőzésektől
– felgyorsítja a sebgyógyulást és szövetregenerációt
– csökkenti a fogínyvérzést, a foggyulladást és a duzzanatot
A kutatások kimutatják, hogy a hialuronsav fogászati alkalmazása jelentős mértékben hozzájárul az ínybetegségek megakadályozásában és gyógyításában.
Ínybetegségek megelőzése és gyógyítása hialuronsavval
A gyógyszertárakban és speciális üzletekben különböző formákban és kiszerelésben már 3 éve kapható a Gengigel, ami az egyedüli hialuronsav-alapú készítmény.
A termékcsalád használata egyszerű, gyermekek, terhes nők és cukorbetegek egyaránt használhatják. A hialuronsav tartalma miatt hatékony megoldás az alábbiakra:
– ínyvérzés
– gingivitis (fogínygyulladás)
– parodontitis (fogágybetegség)
– megsértett íny (sebészeti beavatkozás, foghúzás, fogpótlás után)
– korona, híd, fogprotézisek miatt irritált szájnyálkahártya
Ezen tulajdonságai alapján bátran állíthatjuk, hogy a Gengigel az egészséges fogíny receptje. (X)
Forrás: Medis sajtóanyag

Hialuronsav
Az egészséges fogíny receptje Az egészséges fogíny receptje
Az egész csalàd számára





gél/szájöblögető oldat/szájspray/baby gél

nagyi protézis által irritált íny, fogágygyulladás
anyu ínyvérzés és afták





csillapítja a vérzést elősegíti a sebgyógyulást a szájüregben elősegíti a szövetregenerációt csökkenti a duzzanatokat védi a szájnyálkahártyát a fertőzésektől

jani sérült íny
misike a fogzás időszakában








Dent-East Kft. 1112 Budapest, Rétkerülő út 51 www.dent-east.com • mail@dent-east.com





A-dec 500 a PRÉMIUM






PRIMA AUTOKLÁV Új olasz fejlesztés megbízhatóság, egyszeru ” kezelés, letisztult dizájn

1077 Bp., Rózsa utca 29. www.modent.hu, info@modent.hu





BUILD YOUR DREAM LOUPE

1135 Budapest, Frangepán u. 66/B. +36 1 236 4000 | info@newyorkdental.hu www.newyorkdental.hu
kocka hogy ne ragadjon a műszere a kompozithoz!

Dr. Volom Dental 1067 Budapest Podmaniczky u. 39. Tel.: +36 1 311 65 84 www.drvolomdental.hu








opron, Faller Jenő u .:+36 99/508-698 ax: +36 99/508-696 .hu








Fogászati kereskedelem
• AMPRI: színes e.h. eszközök;
• Anger: matricák, ideiglenes koronák, fényvezető ék;
• ASA: műszerek, egyszer használatos eszközök;
• BISCO: cementek, bondok, kerámiajavító;
• FKG: endodonciai eszközök;
• DTS: színes műanyag lenyomatkanalak;
• NEOLIX: gépi gyökérkezelő tűk;
• OLIDENT: tömőanyagok, sav, bond;
• ORO CLEAN: fertőtlenítőszerek;
• PROMEDICA: cementek, tömőanyagok, alábélelők;
• SCORPION: scaler végződések, implant tisztításhoz is;
• SHOFU: cementek, tömőanyagok, csiszolók;
• SS White: koronafelvágó, karbid- és gyémántfúrók;
• TIDI: védőmaszkok;
• WHITEWASH: fogkrém, fogkefe;
• ZHERMACK: A- és C-szilikon, alginát lenyomatanyagok.
Közvetlenül az importőrtől:
HERBODENT Kft.
✉ 1025 Bp., Szépvölgyi út 52. % 325-7129 %/fax 325-7220, mobil: 30/203-6957, 30/241-5737 e-mail: herbodent@herbodent.hu, www.herbodent.hu

Loupes and lights