
2 minute read
technika alkalmazásával
Dr. Arndt Happe (Németország) HORIZONTÁLIS GERINCDEFEKTUS REKONSTRUKCIÓJA A CSONT-LEMEZ TECHNIKA ALKALMAZÁSÁVAL
Az alább bemutatott eset kezelési tervében egy szóló implantátum behelyezését határozták meg az esztétikailag kihívást jelentő front maxilla bal felső kismetszőfogának a helyére.
Advertisement
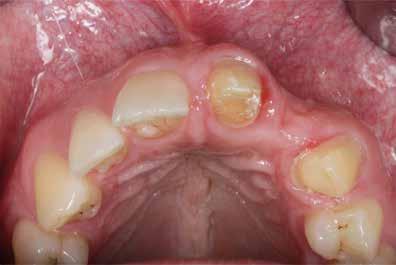
1. ábra: Lokalizált horizontális gerincdefektus. A kezelési terv szerint szóló implantátumot helyeznek a kismetszőfog helyére.
2. ábra: CBCT-felvétel a defektusról. A megmaradt gerinc szélessége 5,6 mm.
3. ábra: A teljes vastagságú lebeny lefejtése után OsteoBiol puha kortikális lemezzel építették fel a bukkális csontfalat. A lemezt titánszegeccsel rögzítették.
4. ábra: A hiányt OsteoBiol mp3-mal töltötték fel.
5. ábra: A lemezt úgy alakították, hogy koronális irányból ráhajoljon a töltőanyagra. Itt is titánszegecset használtak a lemez rögzítésére.

6. ábra: Magát a lemezt kollagénmembránnal fedték, mely gyors lágyrész-integrációt tesz lehetővé. 1. ábra
Mérsékelt horizontális gerincdefektussal kellett számolni, a reziduális csontszélesség 5,6 mm volt. A szakaszos megközelítést alkalmazó irányított csontregenerációs technikához részlegesen demineralizált sertés kortikális lemezt (OsteoBiol Soft
2. ábra
Cortical Lamina, Tecnoss Dental) választottak. Töltőanyagként sertés csontpótló anyagot (OsteoBiol mp3, Tecnoss Dental) használtak. Az augmentációs eljárás után a lemezt kollagénmembránnal fedték, amely lehetővé teszi a




3. ábra 4. ábra
1/1 szabad hirdetési felület 210x297 mm
7. ábra: Az aprólékos, feszülésmentes lágyszövetzárás döntő a sikeres regeneráció szempontjából.
8. ábra: A klinikai szituáció 6 hónap gyógyulási idő után.

9. ábra: A CBCT-felvétel a regenerálódott területet ábrázolja. A gerinc szélessége 10,3 mm-re növekedett. Megfigyelhető az új kortikális lemez és a szivacsos állomány.
10. ábra: A teljes vastagságú lebeny alatt látható a regenerálódott szövet. Jó szöveti vérellátás és a lemez maradványai vannak jelen.
11. ábra: Lehetséges volt a tervezett, korrekt háromdimenziós pozícióba a 3,8 mm átmérőjű implantátum behelyezése.
12. ábra: A regenerálódott gerinc a fogpótlás kezelése előtt.

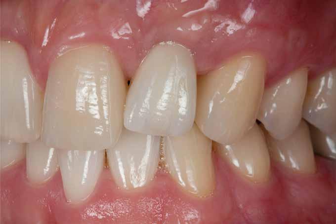
13. ábra: A végső szituáció 6 hónappal a teljes kerámia korona behelyezése után.
14. ábra: Periapikális röntgenfelvétel 6 hónappal a fogpótlási kezelés után. 7. ábra




9. ábra
11. ábra 8. ábra
10. ábra
12. ábra

13. ábra

gyors lágyrész-integrációt. A csontpótló műtétet – mikrosebészeti technika alkalmazásával – aprólékos lebenyzárással fejezték be.
A helyreállító tervezésnek megfelelően 3,8 mm átmérőjű, 11 mm hosszúságú implantátum került behelyezésre a hat hónapos gyógyulási időszak után. Végül a cirkóniumfelépítményre teljes kerámia korona került.
14. ábra
A végeredmény képei egyértelműen bizonyítják, hogy a leírt augmentációs technikával egy igazán esztétikus eredményt lehet elérni. Forrás: Cosmetic Dentistry 2013/4









