
6 minute read
Dentistry down under: Digital case control and versatility - Part 3
In this 3-part series, Dr Ahmad Al-Hassiny shares how digital dentistry has revolutionised his New Zealand clinics, streamlined workflow efficiencies and significantly increased profitability

By Dr Ahmad Al-Hassiny
Digital dentistry offers us incredible tools for same-day treatment of patients in immediate need and to control every aspect of a case whether it’s a single crown or smile makeover.
Not only is a digital workflow more efficient than conventional treatment methods for restoring a patient’s function and aesthetics, it’s also much more accurate. Digitally captured case data can be stored, cloned, shared with other team members very easily and manipulated in ways that conventional methods cannot provide.
One of the most significant advantages of digitising a case is the ability to inspect and rotate the captured data, enlarge it and look at all aspects up close, which has a research-proven positive impact on the quality of the preparations and ultimately the fit and function of the final restorations.
Presented here are two cases, quite different in nature, which demonstrate the strength, versatility and case control that digital dentistry brings to our practice.
Case 1
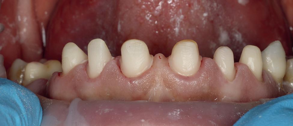
This case showcases how a trauma patient can be treated immediately in a single visit. This 19 year old male presented to my practice with severely fractured teeth 11 and 12 (Figure 1) as a result of being assaulted.

Unfortunately, he had waited 48 hours before seeking treatment and the exposed pulp required us to perform root canals on both anterior teeth with core buildups to retain the crowns (Figure 2).



The teeth were prepped and the preps scanned for import into CAD design software (exocad ChairsideCAD) (Figures 3 and 4). Two full-contour crowns in shade A2 (IPS e.max® CAD, Ivoclar) were milled, then crystallised, stained, glazed and placed in the mouth (Figure 5).


One year later, the patient returned for a post-op appointment to ensure the success of the root canal procedure and that the margins had filled in nicely with no inflammation (Figures 6

Case 2
This was one of those situations where the case was not completed in a single visit. However, it demonstrates how digital dentistry allows the clinician to efficiently control every aspect of the case from preparation and temporisation to final restorations. A 43-year-old woman came to my practice for a smile makeover to repair her chipped teeth and close the diastema between teeth 11 and 12 (Figure 8).



Upon examination, it was clear that the root canals on teeth 24 and 25 were failing and the pre-molar on her left side was compromised. It was decided to place a 4-unit full-contour zirconia bridge on teeth 23-26 and individual crowns in the aesthetic zone on teeth 11, 12, 21 and 22 (IPS e.max® CAD, Ivoclar).



The teeth were prepped (Figure 9), scanned and new restorations designed in CAD software (Chairside CAD, exocad). We then 3D printed a model and filled the putty wash matrix (Figure 10) with a self-cure composite material (Luxatemp Ultra, DMG) to create temporaries for the patient to wear for a week to get feedback on fit, function and colour (Figure 11). At the final appointment, her comment that the temporaries were too white and didn’t match the rest of her teeth was noted for milling of the final restorations (Figure 12). The final restorations were milled and seated in the mouth at that second visit (Figure 13).
About the author
Dr Ahmad Al-Hassiny is a global leader in digital dentistry and intraoral scanners, carrying out lectures as a KOL for many companies and industry. He is one of the few in the world who owns and has tested all mainstream scanners and CAD/CAM systems in his clinic. Dr. Ahmad is also the Director of The Institute of Digital Dentistry (iDD), a world-leading digital dentistry education provider. iDD offers live courses, masterclasses, and an online training platform, with a mission to ensure dentists globally have easy and affordable access to the best digital dentistry training possible.



ULTRA SAFETY PLUS TWIST safe & easy
> Protects you and your staff from needle stick injuries
> Complies with latest regulations
> Intuitive device

> Available with either sterile single use or sterilisable handle
Passive or active aspiration: security for the patient

Transparent barrel: aspiration is clearly visible
FIT IS Find
Sliding protective sheath: protection from needle stick injuries




Two different positions: first Holding Position (reversible) final Locking Position (irreversible)
Ensure predictable You’ll quickly discover Because when WHY DENTISTS
Ensure predictable You’ll quickly discover Because when WHY DENTISTS
Ensure predictable You’ll quickly discover Because when WHY DENTISTS
VISIT US ONLINE
VISIT US ONLINE
VISIT US ONLINE
©2016 Hu-Fried y Mfg.
VISIT US ONLINE the ders 0800 808 the ders 0800 808




©2016 Hu-Fried y Mfg.
Ensure predictable You’ll quickly discover Because when WHY DENTISTS ders 0800 808

©2016 Hu-Fried y Mfg.



A study demonstrated that when introduced in a dental school, Ultra Safety Plus was a the key success factor for avoiding needle stick injuries.
Frequency Of Needle Stick Injuries
ULTRA SAFETY PLUS INTRODUCTION
IS EVERYTHING the right one with Hu-Friedy
predictable outcomes for your littlest patients with Hu-Friedy Stainless Steel Pedo Crowns. discover why dentists favor our impeccable fit. Perfect for your patients. Easy for you. when it comes to the perfect fit, Hu-Friedy is just right.
predictable outcomes for your littlest patients with Hu-Friedy Stainless Steel Pedo Crowns. discover why dentists favor our impeccable fit. Perfect for your patients. Easy for you. when it comes to the perfect fit, Hu-Friedy is just right.
IS EVERYTHING the right one with Hu-Friedy
DENTISTS LOVE OUR STAINLESS STEEL PEDO CROWNS:
IS EVERYTHING the right one with Hu-Friedy
DENTISTS LOVE OUR STAINLESS STEEL PEDO CROWNS: predictable outcomes for your littlest patients with Hu-Friedy Stainless Steel Pedo Crowns. discover why dentists favor our impeccable fit. Perfect for your patients. Easy for you. it comes to the perfect fit, Hu-Friedy is just right. predictable outcomes for your littlest patients with Hu-Friedy Stainless Steel Pedo Crowns. discover why dentists favor our impeccable fit. Perfect for your patients. Easy for you. it comes to the perfect fit, Hu-Friedy is just right.
DENTISTS LOVE OUR STAINLESS STEEL PEDO CROWNS:
DENTISTS LOVE OUR STAINLESS STEEL PEDO CROWNS:
Septanest : the first choice of dentists with over 150 million injections per year, provides you high quality you can trust


YEAR 1 YEAR 2 YEAR 3 YEAR 4 YEAR 5 reserved. reserved. a. 12% b. 27% c. 41% d. 50% e. 62% a. Arthritic Disability Level b. Activities of Daily Living c. Acute Diabetic Lymphangitis d. Activities for Diabetic Living a. Salivary gland hypofunction. b. Gingival overgrowth. c. Unprogrammed coughing. d. All of the above. a. Prescription oral medications. b. Non-oral prescription medications such as inhalers, patches, injections, etc. c. Over-the-counter medicines purchased at a pharmacy. d. Alternative health products. e. All of the above. a. 73 years b. 79 years c. 80 years d. 84 years
All rights reserved.




AQuestion 1. What percentage of men over 65 suffer from arthritis?
Question 2. ADL stands for...
Question 3. Prescription medicines used to manage hypertension can cause...
Question 4. A key element of the successful oral health management of elderly patients is to analyse the impact on oral health of...

Question 5. In 2021, the life expectancy at birth for men is over...
IQuestion 6. Being able to recognise the environmental impacts of health care provision is an expected new graduate competency detailed in a statement from the: a. Australian Dental Association b. Australian Dental Council c. Australian Health Practitioner Regulation Agency d. Dental Board of Australia a. Chemically breaking down plastics to a biodegradable compound. b. Treating plastics in preparation for recycling. c. Misleading product labelling to make it seem more biodegradable. d. Using biodegradable detergents in a washing machine.
Question 7. Greenwashing is...

Question 8. A bioplastic is typically made from: a. Plants b. Natural polymers c. Natural monomers used to create polymers. d. Any of the above a. Polyhyroxyalkanoates b. Polycaprolactone c. Polybutylene succinate d. Polyglycolic acid a. 30% b. 50% c. 70% d. 90%
Question 9. A biodegradable plastic made using starch and sugar is...
Question 10. What percentage of a plastic must be converted into carbon dioxide gas within 6 months to satisfy ISO 13432?
Planes
WQuestion 11. NHP stands for...
a. Nominal Head Plane b. Natural Head Position c. Neutral Head Position d. Natural Health Position a. Frankfort plane. b. Occlusal line. c. Tragus of the ear. d. Ala-tragus line. a. Digital smile design software. b. An intraoral scanner. c. An extraoral 3D facial scanner. d. All of the above. a. True b. False a. True b. False
Question 12. The inclination angle is determined based on the...
Question 13. Face Hunter is...

Question 14. The PlaneSystem is able to capture the position of the maxilla in the skull and the occlusal plane in almost any individual...
Question 15. The PlaneAnalyser II records patient specific movements of the mandible...
Clinical case report of the use of Biodentine™ for deep caries treatment
Question 16. Biodentine has a similar radio-opacity to: a. Enamel b. Dentine c. Caries d. Composite
Question 17. Restorative indications for Biodentine include: a. Treatment of exposed dentine. b. Deep caries treatment for extensive carious lesions. c. Provisional treatment in the enamel and dentine regions. d. Direct and indirect capping. e. All of the above.

Question 18. Biodentine is characterised as a bioactive calcium silicate cement: a. True b. False. a. Tricalcium silicate b. Zirconium oxide c. Calcium oxide d. Calcium carbonate e. All of the above
Question 19. Biodentine is composed of...
Question 20. Biodentine was used as an underfilling material because of: a. Its bioactivity. b. Its dentine-like mechanical properties. c. Both. d. Neither.









