





LaradiologíatienesuorigenafinalesdelsigloXIX,cuandoWilhelmRoentgen descubriólosrayosXen1895;hallazgoqueleharíaacreedordelPremioNobelde Físicaen1901.Desdesusinicioslaradiologíahatenidoungranpotencialparael mejoramientodelasalud,fundamentalesenladeteccióndeenfermedadesyaquepermite tenerimágenesparavisualizarnuestrocuerpoyrealizarunmejordiagnósticodela patología,aportandoconocimientoscientíficosquepermitendetectarlasanomalíasquede otraformanoseríaposible.
Esasíquelosmédicosespecialistasconsiguenlainformaciónnecesariaparaestablecerla estrategiayeltratamientomásadecuado.Laradiologíaentoncessehaconvertidoenun servicioesencialparalaatencióndelospacientes.
Conestatecnologíaesposibleatenderdiversoscasosdepediatría,cardiopatías,problemas abdominales,neurológicos,respiratorios,oncológicos,traumatológicos,entreotrosyayuda muchoenlasconsultasdeotrasespecialidadescomolaginecología,urología,etc…
EnlaactualidadlaradiologíaincluyediversastécnicasademásdelosrayosX,como tomografíascomputarizadas,resonanciasmagnéticasnucleares,medicinanuclear, ultrasonidosyPET.
Esnecesarioquesesigaeducandoalaspersonassobrelaimportanciadelaspruebasde rutinayquenoseretrasenorestenimportanciaalosexámenesradiológicosquelos médicosrecomiendan,porelloenestaocasióntraemosanuestroslectoresunespecialcon elnuevoCentrodeDiagnósticoIntegralIMAGENenColimayaqueundiagnósticoatiempo puedehacermuchadiferenciaeneltratamiento,mejorandoosalvandotuvida.
AarónAndradeRamírez CoordinadorEditorial
Léenosyllévanoscontigoadondesea. Visita www.decisiondeempresario.com & issuu.com/decisiondeempresario
@DECISIONDEEMPRESARIO
Síguenosenlasredessocialesparamás información,comentariosydetrásde cámarasdenuestrasediciones.
EnelCentrodeDiagnósticoIntegralIMAGENsomosequipode profesionalesdelasaludcondiversasespecialidadesmédicas, respaldadasportécnicosconampliaexperiencia,comprometidos conlacapacitacióncontinuaparagarantizarunamejorcalidadde vidaydiagnósticosoportunos
EVENTO
NuevasoficinasdeFirmaLegal Seestableceundespachoreconocidopor latransparenciaytratopersonalizadocon susclientes.
IMAGEN EMPRESARIAL
Normasdeetiquetaparaposadas ycenasnavideñas CarmiñaMejía
REPORTAJE
CINE Y OPINIÓN
CAPACITACIÓN PARA EL TRABAJO
_ ¿Ylafamilia? SergioUrsúa. PLANEACIÓN CONTABLE
Cierrefiscal2022.¿Tuempresa estálista? MaríaElenaMurgía.
EMPRENDEDORES
EdwinNavarro
Lavidavamarcandoelritmodesus cancionesyelcrecimientodeun proyectomusical.
DESDE EUROPA
_ Comillas,máscercadeGaudí FátimaGaray.
RevistamensualeditadaypublicadaporEditorialTsuryAsociadosS.A. deC.V.NúmerodecertificadodereservaotorgadoporINDAUTOR042020-121609031800-01.NúmerodecertificadodelicituddeTituloy contenido00-014-A-1436-20condomicilioenAmatista#101Col. ResidencialEsmeraldaNorteC.P.28017Colima,Col.,México. DecisióndeEmpresarioinvestigasobrelaseriedaddesusanunciantes,pero noseresponsabilizaconlasofertasrelacionadasconlosmismos.Prohibida sureproducciónparcialototal.ImpresaenMéxico,printedinMexicoporTsur yAsociadosS.A.deC.V.EjidoTomatlán53Col.SanFranciscoCulhuacán, 04420Coyoacán,CDMX.todoslosderechosreservados,allrightsreserved copyrigth2022.
Seestableceundespachoreconocidoporla transparenciaytratopersonalizadoconsusclientes.
Congranentusiasmoentrefamiliaresy amigossellevóacaboelcortedellis‐tónparainaugurarlasnuevasoficinas de «FirmaLegal»,ungrupodeabogadosespecia‐lizadosenconsultoría,asesoríayestrategiasjurí‐dicasenmateriadeamparoycorporativo.
ConlaatencióndeltitulardelafirmaLic.Jorge Ayalayunexperimentadoequipodeprofesio‐nalesenlaabogacía,seconstituyeeste despachoreconocidoporlatransparenciay tratoespecializadoquebrindanacadaunode susrepresentadosparagarantizarresultados satisfactorios.
Esimportanterecordarciertasnormasdeconvivencia queharánestasfestividadesmuchomásamenas.
• Comoanfitriónfomentaentusfestividadesnavi‐deñaselbuenánimoevitandotemascontroversia‐lesqueterminenenriñasodistanciamiento.
•Preguntaalanfitriónsiserepartiránlosgastosdelfestejooensudefectoquésugiereque lleves.Siesunainvitaciónsiempreesdeper‐sonasbieneducadasllegarconunabotellade vino,unabotanaounpostre.
•Sipreviamentesepusierondeacuerdopara algúnintercambio,respetaelpreciodelregalo acordado,siesexcesivoparatueconomía pidequedarfuera.Siempreesmejorquellevar un“roperazo”oalgodemuchomenorcosto.
¡Comienzaelúltimomesdelañoy tambiénlasposadas,reuniones familiaresycenasdenavidadyfin deaño!¿Esqueexisteunprotocolosocial paraestasfestividades?Bueno,nopro‐piamenteperosíesimportanterecordar ciertasnormasdeconvivenciaqueharánes‐tasfestividadesmuchomásamenas.
Comotodossabemoslasposadasdurannue‐vedíaspreviosalaNavidadyconesasfestivi‐dadessetrataderecordar,segúnlatradición católica,elperegrinarqueJoséyMaría hicierondesdeNazaretaBelén.Cadaunode losnuevedíasrepresentaunvalorcomohu‐mildad,fortaleza,desapego,caridad,con‐fianza,justicia,pureza,alegríaygenerosidad. Porestarazónvalelapenaquelaconvivencia exalteestosvaloresynosolamenteelrepartir regalosyelconsumodealcohol.
•Procuraqueellugarenelquevasarealizar elfestejoseaadecuadoparaelnúmerode invitados.Sieslacenadenavidadoañonuevo
larecomendaciónesquepuedanestartodos sentadosalamesaalmismotiempo.
• Elmenúpuedesertanelaboradoosencillo comotupresupuestotelopermita,lo importanteesdarlealmomentouna intencióndecelebración.
•Enlaactualidadesmuycomúnquelacena sepagueentretodoslosintegrantesdela familia,sitúplaneasasumiresto,escomple‐tamenteadecuadoquelepidasaalgunosinvi‐tadosquellevenlasbebidasyaotrosqueapo‐yenconunpostre.
•Procuraquelaspersonasdemayoredadse sientenenlacabeceraycédeleselhonorde darunmensajealafamilia.
•Comoanfitriónpiensaenaquellosamigos queestánsolosenlaciudadparaquelosha‐gaspartedelfestejo.
•Siempreesunabuenafechaparadar ejemploalosmáspequeñosdecasay compartirlacenaconpersonasensituación decalleoqueestánenasilosuorfanatos.
•Laeducacióndelaspersonassemuestraen lapuntualidadalmomentodellegaryenla prudenciaalahoraderetirarse.
•Silosanfitrionesnocuentanconpersonalde servicio,siempreofrécetearecogerlamesay apoyarenlacocina.
•Comoinvitadoevitatemasdifícilescomola política,lareligiónoelfútbolquemuchas vecesrompenconelbuenmomento.
Comoves,queridolector,laúnicanormade etiquetaparaestasfestividadeseslaarmonía yelespíritunavideño.Tedeseoqueseanfe‐chasllenasdesalud,amoryelmuypermanen‐teabrazodelaspersonasqueamas.
FelizNavidadyunmuybuenaño2023.
Puntosimportantesquesedebentomarencuenta parareducirelriesgodela«cardiopatíadenavidad».
Lasfiestasdecembrinassonmotivode alegría,nosreunimosconfamiliares quenovemosfrecuentemente,pero tambiénsontiemposenlosquenosexcede‐mosenlosalimentosybebidas.
Cadaaño,enestasfechas,lossíntomasdelas enfermedadescardíacasaumentan,incluidos losataquesalcorazón.
Estossonalgunosdelosmotivos
• Estrés. Enestatemporadadelañosegenera muchoestrésporlascompras,losviajes,la faltadedinero,entreotrascosas…loqueau‐mentalaproduccióndecortisolenelcuerpo, hormonasqueenexcesosonperjudiciales paralasaludcardiaca,aumentandohastacin‐covecesmáslasprobabilidadesdemorira causadeunataquealcorazón,inclusosinpre‐sentarantecedentesdeenfermedades.
• Depresión. Latristezaduranteestatempo‐radaescomún,ylaspersonasmásvulnerab‐lessonlosadultosmayores.
• Abandonodelcuidadodelasalud. Sucede quelaspersonasestántanocupadasquese olvidandelamedicaciónyposponenlostrata‐
mientos,esimportanteponerespecialcui‐dadoensituacionesdeesetipo.
• Excesodecomidaybebida. Lascomidaspe‐sadas,altasengrasasysalnosoloafectanel sistemadigestivo,tambiénaumentalapre‐siónarterialyelritmocardíaco,loquedesarro‐llaelriesgodesufrirunataquecardíacooun derramecerebral.Lasarritmiasposterioresa undíadefiestapuedenpresentarsehastaen un20%delosjóvenes.Pudiendoestascausar complicacionesmásgraves.
TorreMédicaSendera Consultorio511 PaseoMigueldela MadridHurtado#271 28978VilladeÁlvarez,Col. hemodinamistacolima@gmail.com 3123084700ext.500y599(citas) 3141472175(urgencias)
Perodebeshaceralgunascosasparaayudar aqueestaépocadelañoseamássegura, planificando,protegiéndotedeloscambios detemperatura,manteniendocuidadosper‐sonalesyhábitossaludables,perosobre todoescuchandoatucuerpoyante cualquiersíntomaocomplicaciónconsultar atumédicoespecialista.
Sipadecesunaenfermedad cardíacaotienesfactoresde riesgonotienesquedejarlas fiestasporcompleto.
Seacercanuevamenteelfindelañoy coneste,latemporadadegrandeses‐trenosquecerraránconbrochedeoro 2022.Desdelosserviciosdestreaminghasta lassalasdecine,opcioneshabrádesobra paradisfrutarsolo,enparejaoconfamilia ¿Cuálessonlaspropuestasmásimportantes delatemporada?
ENLÍNEA
Enelmediomásnovedoso,haymuchavarie‐dad. Netflix llegafuerte,encabezandola competenciacon Pinocchio (Guillermodel Toro)y Bardo (AlejandroG.Iñarritiú),quesibien yafueestrenadaencines,entraráalservicioa iniciosdemes.Tambiéncargaconlamuy esperada GlassOnion:AKnivesOutMystery (RianJohnson)secueladelainteresante Kni‐vesOut,querecibirálaNavidadundíaantes. Otrasopcionesaseguirenelrestode plataformasson: HugoSánchez:Elgolyla
Gloria (AmazonPrime), SomethingfromTif‐fany's (AmazonPrime) Achristmasstorych‐ristmas (HBOMax).ylasegundamitadde temporadapara RickandMorty (HBOMax) queseestrenaamediadosdenoviembre,pero continuaráhastaesasfechas.
En Disney+ tendremosfilmesatractivoscomo GuardiansoftheGalaxy:ChristmasSpecial, SantaCláusula:UnnuevoSanta y Navidadde Golpe,conLindsayLohancomoactrizprincipal. Lamejordetodaslasanteriores: Pinocchio, queprometeunaapasionantehistoria,dise‐ñosincreíblesymuchasemocionesacargo deldirectormexicano,ganadordelOscar.
Laofertaesmáslimitadaenlassalasdecine (muchomás)peroconunasolaopcióntienen suficienteparacompetircontodaslas plataformas: Avatar2,elnuevofilmede JamesCameron,quellevaenproducción12
años,conlamejortecnología(diseñada específicamenteparaestaobra)incluyendo nuevostrajesdecapturademovimiento,ca‐pacesdefilmarbajoelagua,elCGImás avanzadodelahistoriayun3Dqueeldirector promete,serácomonadaquesehayaes‐trenadoantes.
Enestecasovalelapenaconfiarensupa‐labra,puesCameronsehacaracterizadopor empujarlaindustriahaciaadelanteconcada producciónasucargoysoloseinvolucraen unproyectosigenuinamentevalelapena(no pornadasufilmografíaesunadelasmás exitosasdelcine,conpelículascomo Termi‐nator, Terminator2, Aliens, Titanic yporsu‐puesto Avatar).
Llegaráanuestraciudadel12dediciembrey esunlargometrajequenosepuedenperder. Sinmásqueagregar,soyCristóbalRuizGay‐tán…Disfrutenlafunción.
Comoelnúcleodelasociedad,esdondesedesarrollanlosvalores,las conductas,personalidadesytodoloquealfinalconformaloquese llama«tejidosocial».Laobservaciónyanálisisdeloqueocurreeneste tejido,podríadefinircómoseconformanlasfamiliasysuscaracterísticas.
Enlasempresaslascondicionessonsimilares.Enlafamilialaboral,queporde‐finiciónes,ungrupodepersonasquepermanecenjuntaspormásde8horasy quetienenlosmismosobjetivoslaborales,esdondesedesarrollaeltejidoso‐cial,decarácterempresarial.
Laoperaciónesbásicamentelamisma,enlafamilialaboralesdondesedesarro‐llanlosvalores,lasconductas,ylaspersonalidadesquevandirigiendoelcómo semuevenlosnegocios.Asíescomoporpaíses,regiones,ciudadesopequeños gruposdeempresas,vanconformandoelcómosemueven «losdineros».
Pero,¿quépasadentrodeunafamilialaboral?,¿quétenemosquehacercomo empresariosparasacarlomejordenuestrasfamiliaslaborales?
Estaspreguntassonestratégicasporquetodoloquepasadentrodelconcepto defamilialaboralimpactadirectamenteenlaproductividaddenuestros colaboradores.EstudiosrealizadosenañosanterioresporHP(antesHewlett Packard)arrojóqueel75%delasatisfaccióndelosempleadosenlaempresa tienequeverconelentornodelafamilialaboral.Enalgunosdelosresultadosse registrabaquehastael82%dela«felicidadlaboral»estabasustentadaencómo sedesenvuelvelafamilialaboral.
Lasfamiliaslaboralesestánconformadaspordiferentespersonalidadesqueen algunasocasionesdebemosaprenderatolerar.Sí,tolerar.Todosnoshemos encontradoconeseparientecercanoolejanoconquiennocongeniamos,pero eslafiestadefindeañodelafamiliayahíhayqueestarahí.Enlaempresaes igual.Entrenarlatoleranciaylapacienciaesnecesariamentesano.Eltrabajodel áreaderecursoshumanosylafilosofíaemitidadesdeladirecciónogerencias, dicenenmuchoelambientequeprevaleceenunaempresa.
¿Quédecisionesoaccionesmejoranlascondicionesdenuestrafamilialaboral?
Además,unafamiliadependedelaotra.Loquenospasaencasa,repercuteen eltrabajoyviceversa.Elsecretoeselequilibrio.
¿Cómoestátufamilialaboral?
Hastaluego.
EstamosenelúltimotrimestreylasempresasdeMéxico sepreparanparallevaracabosucierrefiscal2022.
deterrorismofiscalacontribuyentescumpli‐dos,yaqueelGobiernoestimaingresostribu‐tariostotalespor4,620.2milmillonesdepe‐sos,unincrementode10%respectoaloobte‐nidoen2021.Deahílaimportanciadela conciliaciónentrelabasefiscalycontable paraevitarriesgosdefiscalizaciónexcesiva porpartedelasautoridades.
Aunqueestecierrenoesnecesario quesehagael31dediciembre,mu‐chasempresassuelenhacer“corte” afinalesdeañoparaefectosfiscalesyfi‐nancieros,dejandolostemasfiscalesmás cercadelasdeclaracionesanuales.Elcierre fiscalesindispensableparaconocerlasutili‐dadesopérdidasfinancieras,paratenerla basedelpagodeimpuestos,enestecaso,los correspondientesalejerciciofiscal2022.
Sibieneseláreacontablelaquerealizael cierre,contarconlaayudadeunespecialista ayudaatenerunaopinióndeuntercero,más objetiva,queayudealatomadedecisiones estratégicasparaelnegocio.
Realizaunejerciciopreviodecierre fiscal. Haceruncorteprevio,que contemplelascifrasdelúltimotrimestredel añopuedeayudaraestimarlasproyecciones delosindicadoresmásimportantesdetu negocio:ingresos,ventas,inventario,cuentas porpagar,cargafiscal,etcétera.
Hacerestecorteprevioenelúltimotrimestre permitiráalasempresasconocerunestimado delosresultadosfinancierosyfiscales,con ello,aplicarestrategiasparahacermás eficientelacargafiscaldentrodelnegocioen estecierre.
Siempredebesmedirlarentabilidaddel negocio. Unavezquelaempresarealizó unestimadodesuscifrascontablesyfinancieras quelepermitantenerunpanoramasobreel cierredelaño,esmuyimportanteanalizareles‐tadodelarentabilidaddelnegocio,estosignifica tenerunestimado,lomáscerteroposible,sobre:
• Cuálessonlosmárgenesbrutosynetosdelnegocio
• Cuáleselniveldeloscostosygastos
• Cómoimpactaestorespectoalosingresos
• Quéniveldeflujoesgeneradoporlaorganización
Medirlarentabilidaddelnegocioesvital durantetodoelaño,sobretodovigilarque losmárgenesnetosanualesseansuperiores al20%delosingresos.Cualquiercifrapor debajodeellosignificaproblemasde eficienciafinanciera.
Realizalaconciliaciónfiscal. Llevara cabounpre-cierrefiscalpermitiráa cualquierempresadetectardiscrepanciasen‐trelabasefiscalycontable,afindecorregir estasdiferenciasantesdepresentarlasalas autoridadesfiscales.
Unabuenaprácticaesrealizarestas conciliacionesdemaneramensual,queeviten contingenciasyfugaderecursosno contempladosderivadosdemultasfiscales. Nodebemosperderdevistaquelasautori‐dadesfiscalescontinuaránconsuestrategia
Preparalospapelesdetrabajoparala declaraciónanual. Alrealizarun cierrefiscal2022tuempresaestaráen condicionesdeprepararlospapelesdetra‐bajonecesariosparasoportarlascifrasinc‐luidasenladeclaraciónanualinclusivepara aquellasempresasquepresentandictamen fiscal.Lospapelesdetrabajo,además,son fundamentalesparaverificarinconsistencias enlasdiversasoperaciones.
HayindicadoresclaveparaelSATque debesvigilar. Conlaestrategiarecau‐datoriaqueelGobiernohamantenidodurante todoelsexenio,lasfacultadesdecompro‐baciónfiscalsehanincrementado.Algunosde losindicadoresquedebesrevisarentucierre fiscalson:
• Aumentoenelcostodelovendido
• Deduccionesinusuales
• Disminucióndelcoeficientedeutilidad
• Operacionessinrazóndenegocio
• Pérdidasfiscalesrecurrentes
• Disminucióndeingresoscontables
Todaslasempresasdebentenerencuenta quelosmomentosenquedebenserconsi‐deradosestosindicadoressonfundamentales yaque,apartirdeellos,setomanlasmejores decisionesysobretodo,secumplefiscalmen‐teconlasautoridadestributarias.
IMAGEN-CDIformapartedelaTORREMÉDICA
SENDERA,nosencontramosenplantabaja,para facilitarelacceso,ademásnuestraubicaciónle permiteanuestrospacientestransitarlibrementepor elrestodelaplaza.
EnIMAGENCentrodeDiagnósticoIntegral,somosun equipodeprofesionalesdelasalud,condiversas especialidadesmédicas,respaldadasportécnicoscon ampliaexperiencia,comprometidosconlacapaci‐tacióncontinuaparagarantizarunamejorcalidadde vidaydiagnósticosoportunos
Somosunconceptodiferente enlosmediosdediagnóstico.
Undíamelevantéydije: «formaréundreamteam»,. Sí,unequipodeensueñoqueesté enfocadoenmejorareldiagnóstico pormediodeimagenyenlamejor atenciónhaciaelpaciente.
Dr.JorgeErnesto PlataFlorenzano
MedicoRadiólogoegresadodelCentroMédico NacionaldeOccidente.Con15añosdeexperiencia. MaestríaenAdministracióndeHospitales.
EldrPlataFlorenzanoeselencargadoderea‐lizarlosprocedimientosdeintervencionismo guiadoporimagenes,asílogramostenerun equipodondetodosaportamosuntalento.
MédicoRadiólogoconespecialidadenNeurorradiología,egresadadelInstitutoNacionaldeNeurologíayNeurocirugía “ManuelVelascoSuárez'',certificadaporelConsejoMexicanodeRadiologíaeImagenA.C. MaestraenCienciasMédicasyvocaldelComitédeÉticaenInvestigación.
Comomédiconeurorradiólogoestoy encargadadeldiagnósticodelas enfermedadesdelsistemanervioso central,esdecir,delaspatologíasdelencéfa‐loyraquimedulares.
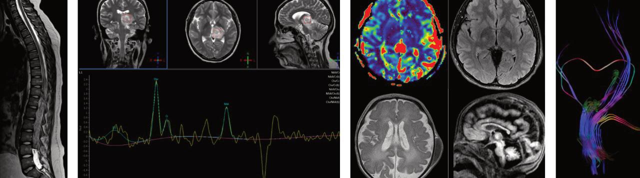
Elabordajeneurorradiológicoesmuyamplio, conlosdiferentesmétodosdeimagenana‐lizamosmalformacionescerebrales, alteracionesvasculares,tumores,enferme‐dadesdesmielinizantes,patologíasinfec‐ciosasytrastornosneurodegenerativos.
Encadaetapadelavidaeltipodeenferme‐dadesqueafectanalsistemanerviosocentral varían,porlotanto,miabordajediagnóstico incluyedesdepacientespediátricoshasta adultosmayores.
Actualmente,lastécnicasdeneuroimagen nospermitenirmásalládedecirqueexiste una“tumoracióncerebral”;esdecir,podemos
hacereldiagnósticodiferencialdelesiones infecciosasopatologíasconlesiones“pseu‐dotumorales”sinnecesidaddetenerque llegaralatomadebiopsia.Además,enelcaso delostumorescerebrales,lastécnicasde perfusiónyespectroscopíaporresonancia magnéticanosayudanadiagnosticarelorigen yelgradodeltumor.
Untema,queenlopersonal,meapasionamu‐choeseleventovascularcerebraloinfarto cerebral,porqueesunapatologíaenlacualel diagnósticotempranoyelanálisisneuro‐rradiológicoinfluyeneneltratamientooportuno ylaevolucióndelpaciente,conlastécnicasde perfusiónportomografíaoresonanciamagné‐ticapodemosanalizareltejidodepenumbra,es decir,eltejidocerebralqueestásufriendoporla faltadeoxígenoyquesepuedesalvarsidamos untratamientooportuno.
EnelCentrodeDiagnosticoIntegralcontamos conunequipodetomografíaquenospermite realizardesdeunestudiosimple,hastaestudios deperfusiónportomografíayangiotomografía cerebral.Además,contamosconunareso‐nanciamagnéticade1.5Teslaquetieneelso‐ftwaredeneurorradiologíaparapoderrealizar secuenciasavanzadascomoperfusión,espec‐troscopíaytractografía.Mifunciónescrearysu‐pervisarelprotocolodeestudioparacadatipo depatologíaypaciente,mimisiónesllegaral diagnósticoneurorradiológicoencadacaso, haciendousodetodaslasherramientasconlas queactualmentecontamos,paraquecada pacientepuedarecibiruntratamientooportuno.
TodoslospacientesqueacudanalCDIpueden estartranquilosysegurosdequecontamos conlosmejoresequiposyelpersonalcapaci‐tadopararealizarestudiosdeneuroimagen sinnecesidaddeacudiraotrosestados.
MédicoRadiólogoenelCMNLaraza(UNAM)
Altaespecialidadenimágenesyprocedimientos intervencionistasdelamamaenelHospitalMédicaSur CertificadaporelConsejoMexicanodeRadiología MiembrodelaAsociaciónMexicanadeMastología
Laevaluacióndelostrastornosmamariosmediantemétodos diagnósticoscomolamastografíadigital,elultrasonidoylare‐sonanciamagnética,permitenlacaracterizacióndetumoracio‐nes,dolormamario,secrecionesycambiosdelpezón,evaluacióndel tejidoenpacientesconriesgo,seguimientoyvigilanciadelapaciente entratamiento,entreotras.Laintegracióndeestosmétodosdetermina eltamaño,númeroylalocalizacióndelesiones,imágenesdelostejidos circundantes,ganglioslinfáticosysirvencomoguíaparalaextracción demuestrasdetejidoparasuposterioranálisismicroscópico.
Losestudioshandemostradounamayoreficaciaeneldiagnóstico cuandoestosmétodossecomplementanentresí,aportandodiferentes datosyelevandolosporcentajesdesensibilidadyespecificidadmayo‐resal90%paraladeteccióndelesionessospechosas.
Lautilizacióndemastografíadigitalconmétodoscomplementarios comoelultrasonidooresonanciamagnéticaenlaspacientesconuna previaevaluaciónderiesgonospermiteofrecerpruebasconfiables paraladetecciónoportunadelcáncerdemama,asícomoprocedimien‐tosdetomademuestraguiadosporimagen.
EsporelloqueenelCentrodeDiagnósticoIntegralnuestroobjetivo principalesotorgarunserviciodecalidadconatenciónespecializada, poniendotodonuestroesfuerzoenllegaraundiagnósticotemprano, quebrindeunaoportunidaddetratamientoconmejorpronósticoalas pacientesconpadecimientosdelamama.
MédicoespecialistaenMedicinaFísicayRehabilitación. FacultaddeMedicina,UniversidaddeColima,2003-2009, Ced.Prof.6369362
MedicinaFísicayRehabilitación,CentroMédicoNacional deOccidenteIMSS,2010-2013,UniversidaddeGuadalajara. Ced.Esp.9486288.
MiparticipaciónenIMAGENCentrodeDiagnósticoIntegrales atravésdeestudiosespecialesenlosqueapoyamosrea‐lizandodiagnósticosprecisosqueaportenalmejoramiento delasaluddenuestrospacientes.
Electromiografía(EMG). Esunapruebaparaestudiarcómofuncionan muchosdelosnerviosquetransmitenlasensibilidadylafuerza,así comolosmúsculos.Lapruebaserealizaconunoselectrodosdesu‐perficieenlugaresprecisosdelcuerpo,sobretodoenextremidades, dandounosestímulosrepetidosdecorrienteeléctrica.Paraexplorar losmúsculosseutilizaunelectrodoespecialenformadeagujafina, desechables,portanto,sinriesgoalgunodecontagios,queseintrodu‐ceyregistralaactividadeléctricamuscular.
Potencialesevocados. Sonlosestudiosquesirvenparaexplorarlas víasnerviosasquellevanlainformacióndesdelosórganosdelossen‐tidoshastaelcerebro.Laformaderealizarlosdependedelavíasenso‐rialquesequieraexplorar,porloquehaydistintostipos:
Visuales:sirvenparaexplorarelfuncionamientodelnervioópticoylas víasvisualescerebrales.
Auditivos:estudianlavíaauditivahastaelcerebro.
Somatosensoriales:estudianlasvíasdelassensacionescutáneas desdelamanooelpie,pasandoporlosnervios,lamédulaespinalhasta llegaralcerebro.
MédicoRadiólogoconsubespecialidadenimágenesdelcorazón
EgresadoporelInstitutoNacionalde CardiologíaIgnacioChávezenlaciu‐daddeMéxico.
Encargadodeldepartamentodeimágenesdel corazón,soyelresponsabledecoordinaral equipodetécnicosenlosprotocolosdeimá‐genescardiacascomoloson:
• Angiotomografíadecorazóncon reconstrucciónen3D
• Calcioscore
• Tomografíadeangiocoronarias
• Resonanciamagnéticadelcorazón
MicolaboraciónconIMAGEN–CDI,es graciasalmilagrodelateleradiología,en dondeatravésdeunaplataformadigitalse puedenrealizarlosestudiosadistancia,dan‐
doindicacionesalmomentoporvideo llamada.Asímismonoshacemosresponsab‐lesdelcontroldecalidad.
EnIMAGEN–CDItenemosmuchocorazón,y queremoscuidareltuyo.
¿QUÉESUNATOMOGRAFÍADECORONARIAS?
Latomografíadecoronariasesunestudio cardiaconoinvasivoqueutilizarayosXpara tomarimágenesdelcorazónyvalorarlaanato‐míadelasarteriascoronarias.
ConlaAngiotacCoronariasepuedentomar imágenesdelcorazónquelate,mostrarcalcio ybloqueosenlasarteriasdelcorazón.
Latomografíacardiacapermitevalorar tambiénlafuerzaconlaquesecontraeelco‐
razón;delamismamaneraqueseevalúacon unecocardiograma.
Enestemismoestudiosepuederealizaruna valoracióncompletadelaaortaparadeterminar siexistenaneurismasodiseccionesdelaaorta.
Cuandosedetectalesióndeltroncodelacoro‐nariaizquierdaocuandohaylesiónde3arterias coronarias;sedebederealizarunacirugíadeby‐passconimplantesdearteriamamariainterna.
Sintintedecontraste,sepuedeusarpara medirlacantidaddecalcioenlasarteriasdel corazón.Supuntajedecalciolesdaalosmé‐dicosunaideadecuántaplacahayenlas arteriasdelcorazónqueaúnnohacausado problemas.Supuntajedecalciopuedeayudar apredecirsuriesgodeataquecardíaco.
Cuentaconmásde700estudiosmédicos,distintaspruebaspara verificarunestadodesaludóptimoytomademuestrasado‐micilio.Unlaboratorioconinstalacionesmodernas,consuma‐trizenTorreMédicaSendera,unasucursalenManzanilloyunespacio másenIMAGENCentrodeDiagnósticoIntegraldondesecolaboradela manoconlosespecialistasparaobtenermejoresresultados.
MedicoCirujanoyParteroporlaUDG
EspecialistaenCardiologíaporlaUDG
AltaEspecialidadenEcocardiografíaAdultosporlaUAG
Mededicoaprevenir,diagnosticarytratarlospadecimientos cardiovascularesquerepresentanlasprincipalescausasde muerteenelmundo:infartoyanginadepecho,hipertensión arterial,enfermedadesdelasválvulas,insuficienciacardiaca,asícomo larealizacióndeestudioscomplementarioscomoelecocardiograma, electrocardiograma,monitoreodelapresiónyholter,pruebasde esfuerzo,etc.
MifuncióndentrodelCDIeslarealizacióndelecocardiograma,elcual esunaherramientadiagnósticadeimagenqueutilizaondasdeultraso‐nidoparalavisualizaciónyevaluaciónintegraldelcorazón,noproduce radiación,porloqueescompletamenteseguroentodaslasedades.
OírColima,unequipoprofesionalparadetectarlapérdidaauditiva desdeelnacimiento,deformarápida,sindolor,deunamaneramuy precisaycontratamientospersonalizados.
• Estudioaudiológico(audiometría)
• Timpanometría
• Emisionesotoacústicas(tamizauditivo)
• Logoaudiometría
• Acufenometría
• Adaptacióndeauxiliaresauditivos Contamosconlasmarcasmásimportantes delmercadoensusdiferentesgamas.
Conelecocardiogramasepuedenevaluartodaslasestructurasdelco‐razón:grosordeparedesymovilidadyengrosamientodurantelacon‐tracción,elestadodefuncionamientodelasválvulasparadetectarpro‐blemasenlaapertura(estenosis)oelcierre(insuficiencia),lamedición delasdimensionesyvolúmenesdelas4cavidades,asícomolaes‐timacióndepresionesintracardiacasypulmonares.
Esteestudioesdegranutilidadcuandohaysospechadequeelcorazón estácrecido,cuandohaysospechadeobstruccióndelasarteriascoro‐nariasyenlaevaluacióndesecuelasdeinfartos,asícomoenlapre‐senciadesoplos.
ElecocardiogramarealizadoporunCardiólogoEcocardiografistain‐crementalacalidadyconfiabilidaddelosresultadosreportados.
Neumólogo
MédicoInternistaconsubespecialidadenNeumologíade adultos.EgresadodelaUniversidaddeColimaydela UniversidadAutónomadeMéxico.Formadocomo subespecialistaenelInstitutoNacionaldeEnfermedades Respiratorias(INER)enlaciudaddeMéxico.
Desdehace12años,participoactivamenteenlasaluddelos colimenses,detectandoytratandoenfermedadespulmonares, quevandesdeAsma,EnfermedadPulmonarObstructivaCró‐nica(EPOC)hastacuadroscomplicadosdefibrosispulmonar.
LasubespecialidaddeNeumología,hastaantesdelapandemiaerauna subespecialidadpocovalorada,sinembargohoyendía,espilardentro denuestrasociedad.Unodelosproblemasdesaludpúblicaqueaque‐jananuestrasociedadeseltabaquismo,esteprovocaundañodirecto anuestrospulmones.
Existeninfinidaddeestudiosquepodemosrealizarparavaloraruna probableenfermedadpulmonar.Unodelosestudiosmássencillos,que todoneumólogorealiza,eslaespirometría.Esteestudionospuede decircualestufunciónpulmonar.
AgradezcolainvitacióndeCDIImagenaparticiparenladetecciónde enfermedadespulmonares,paraposteriormenteofreceruntratamien‐toadecuado.
abesporquéesimportantequetushijostenganestu‐diosdelcorazón?Lascardiopatíascongénitassonla malformaciónnúmerounoanivelmundial,peroenoca‐sionesestosdefectosnosedetectanhastaalgunosmesesoaños despuésdelnacimientoentreellaspuedehaberdefectosenlasválvu‐lasuorificiosenelcorazón,ademásalgunasinfeccionesviralespueden causardilatacióndelascámarascardíacascausandoproblemasen etapastardías.
Soyunmédicocomprometidoconelbienestardemispacientes,que buscaayudaralosniñosatenerunaadecuadasaludcardiovascular, estoycapacitadaparadetectarproblemasdelcorazónpormediodedi‐versosestudios,entreelloselecocardiograma,unestudioquenos permitevisualizarelcorazónentiemporeal,detectandoproblemas congénitosoadquiridos,norequiereningunapreparaciónylospadres acompañanasushijosentodomomento.
EnelCDIImagennoscomprometemosaofrecerserviciosmédicosac‐cesiblesparalosniñosysusfamilias.Situhijoaúnnopresentasínto‐masesunaoportunidadpararevisarsucorazónydetectarproblemas atiempo.
GeneralElectricSigna1.5Tesla
LaresonanciaMagnéticaNuclear(RMN)esun examennoinvasivoutilizadoporlosmédicos paraeldiagnósticodeenfermedades.LaRMN empleauncampomagnéticopotente,pulsos deradiofrecuencia,yunacomputadorapara crearimágenesdetalladasdelasestructuras internasdelcuerpo.LaRMNnoutiliza radiación(rayosX).
GeneralElectricLightspeedde64cortes
Unequipoparaestudiodelcuerpoenteroque hasidodiseñadoparaproducirimágenes cardiacasyneurológicasavanzadas.
Estesistemamantieneunacalidaddeimagen excepcionalaltiempoquereducelaexpo‐sicióndelpacientealaradiaciónenun70%, siendomásseguroparalosniños.
GeneralElectricLunarProdigyAdvance
Ofrecelamáximaprecisiónadosisde radiaciónbajasenelmenorintervaloposible. Imágenesdealtaresoluciónymediciones exactassobretejidosblandosycompo‐sición,incluyendodensidadmineralósea (dmo),masamagra,grasadetejidoy porcentajedegrasa.
Surelaciónconlamúsicaurbanaco‐menzóalosnueveañosescuchan‐docancionespopularesdeMcDavo, C-Kanyotroscantantesdelgéneroqueso‐nabanenesemomento,coneltiempolapa‐sióndelamúsicasefuemetiendoensusve‐nasyescribiósuprimerarolaalos14años aprendiendodelavidaylosamores,eltema principaldesuscanciones.
Lasprimerasletrasfueroncomplicadaspero conlaprácticaylaconstanciaEdwinNavarro fuetomandounestilopropio. «Conlosañosse vaganandoexperienciaytodoempiezaafluir, seaprendencosasnuevasyseconoceagente quetevaguiando,esasícomosurgiólaoportu‐nidaddeconoceraDanielOrtizunproductorde músicadeColimaconelquecomenzamosa grabarenunestudioyaponerlemáscalidada nuestrostemas,yoantesgrababaenestudios caseros,conunmicrófonoyunalaptop,pero lascosassevandandopocoapocoysetiene quetenerpaciencia».
AbasedeperseveranciaEdwinNavarrohalo‐gradoescalarparallegarahoraalasdisqueras deGuadalajaraylograrcolaboracionescon
MoisésGarduño,productorderap.Suspri‐meraspresentacioneslashanrealizadoen secundariasybachilleratos,eventospeque‐ñosenlosquebuscanllevarmensajesposi‐tivosalosjóvenesestudiantes.
«Quierosembrarsemillasdeconcienciaatra‐vésdelamúsica,quelagenteconozcamás esteestiloyquepuedanverqueenelgénero urbanotambiénsepuedentocartemasde trascendenciasocial».
«Escribimosycantamosloquevivimosysenti‐mos,asíescomofuncionanuestramúsica parapoderexpresarlobien,todasmiscancio‐nessonexperienciaspersonales,lavidasiempretevamarcandoelritmo».
EdwinNavarrotieneunametamuyclaraconel objetivodellegaralasgrandesligasdelamú‐sicaurbanayganarseunlugarenelcorazónde laspersonasquesiguenesteestilodevida. «Me gustasiempreestarproduciendo,lamúsicaes mipasiónymiconsejera,megustaapoyaralos quequierenhacerlomismoymimejorconsejo paratodossiempreseráquesiganluchandopor sussueñoshastaconseguirlos».
¿EsposiblerelacionarelminimalismoconGaudí? Sí,yComillas,España,eselejemploperfecto.
Siporalgomehedecaracterizarespor elhechodequemegustalaaventura yestefindesemanapasadonofuela excepciónalanorma…sinquererlonideberlo, agarrémimochilaymefuidirectaalaes‐tacióndecamiones,apuntéconmidedoypor menosde800pesosmefuiaSantander.
Aunquelaciudadesmuybonita,loslugareños meadvirtieronquenopodíaempezarmiviaje sinvisitarComillas,ubicadaalnoroestede Cantabria,exactamentea56kilómetrosde dondemeencontraba.Aunquealprincipio dudéunpoco…enmuypoquitotiempo descubríqueteníantodalarazóndelmundo. Comillas,elcaprichodeGaudí. VisitarComillasessinónimodelocura. EmpecémirecorridoenComillas,muytemp‐ranoyameencontrabaenlaentradadelCapri‐chodeGaudí,ubicadoenelbarrioSobrellano, esperandoaquemeabrieranlapuertapara podervisitarlo.
Desdeelprincipiomedicuentadequesetrata delmonumentomásimportantedeestepue‐bloCántabro.Suarquitecturaestotalmente modernistacreadaporAntonioGaudí,unode losartistasmásimportantesdelosúltimossi‐glos.Fueconstruidoentre1883y1885,dos añosenlosquelacreatividadfueelpuntofir‐
Estaobradearteesunacasa de2pisosycuentaconexactamenteochoescalonesque sepuedenvisitar.Enalgunode ellossepuedenvervideosde lahistoriadesuconstrucción.
Porfueraesotracosa…Lasparedesexterio‐resestándecoradascongirasolesdecerá‐micaconcoloresverdeyocrequesintonizan conelentorno.
Recorrerlofuetodaunafantasía…Desdeel principioelmismoambientemesumergióen unaesferadecreatividad,coloresyoloresque hicieronquesintieralaesenciadeestamagní‐ficaobraarquitectónica.
Yaunqueestemosacostumbradosaquelas obrasdeGaudísonabstractasyextrava‐gantes,adecirverdad,elinteriordeElCapri‐chofuetodaunarevelación.Susimplicidad, iluminaciónyacercamientoalocotidiano, hacenqueseaelequilibrioperfectoentrelo chocantedelafachadaconlominimalistaque essuinterior.