



EDITORIAL
![]()




EDITORIAL
¿Sabías que debemos ir al dentista cada seis meses? Seguramente. Es uno de esos conocimientos bien difundidos que, sin embargo, elegimos ignorar, colocándolo en la misma categoría que las revisiones médicas recomendadas. Pero más que una recomendación, es una advertencia porque la boca vale, y vale mucho.
No es exageración nuestra. Los primeros registros que tenemos de tratamientos dentales datan de alrededor del 7000 a.C., donde se utilizaban herramientas primitivas para tratar las caries. Es decir, que desde aquel entonces se resaltaba la importancia del cuidado y salud bucal. Ejemplos hay muchos: los primeros cepillos de dientes datan de alrededor del año 3000 a.C. en Babilonia y Egipto, donde se usaban ramitas deshilachadas para limpiar los dientes. Los chinos inventaron el primer cepillo de dientes de cerdas en el siglo XV.
O por ejemplo, el uso de amalgamas de plata y mercurio, práctica común en el siglo XIX (aún hay dentistas que llegan a usarlas) con el fin de rellenar caries, que por cierto, eran mucho menos comunes, pues hoy se han vuelto una carencia común debido al alto consumo de azúcares que llevamos a cabo todos los días.
La salud bucal es parte de nuestra historia y de nuestra vida cotidiana. Mientras más lo entendemos, más absurdo se vuelve ignorarla.
Este mes, honramos esa importancia con una portada dedicada al oficio que nos ha acompañado desde hace siglos y que hoy, además de ser una gran industria, se practica con los conocimientos y tecnologías más avanzadas de la historia.
No cuidarte, no tiene excusa, ni siquiera la de no conocer un buen odontólogo, porque aquí te traemos cuatro y tienes nuestra palabra: son bastante buenos.
Cristóbal Ruiz Gaytán Trujillo


EDICIÓN DIGITAL
Léenos y llévanos contigo a donde sea. Visita www.decisiondeempresario.com & issuu.com/decisiondeempresario



@DECISIONDEEMPRESARIO
Síguenos en las redes sociales para más información, comentarios y detrás de cámaras de nuestras ediciones.



No. 192 Año 16


Profesionistas, expertos, odontólogos líderes en su rubro. Conoce a quienes protagonizan nuestra portada y descubre su trabajo.
18 _ Dra. Brenda Andrade Leyva Parece imposible, hasta que se hace.
20 _ Dr. Gilberto Ramírez Valle No solo cambiamos sonrisas, también cambiamos vidas.
22 Dr. Jorge S. Fernández Cabrera Ver las nuevas sonrisas en nuestros pacientes, es la mayor gratificación de nuestro trabajo.
23 _ Dra. Ariadna Guadalupe Carrillo Regresándole a nuestros pacientes, la sonrisa que quieren y merecen.
PLANEACIÓN CONTABLE
10 _ ¿Sabes qué es la modalidad 40? María Elena Murguía.
INDUSTRIA DE LA CONSTRUCCIÓN
12 _ Pros y contras de las viviendas prefabricadas en México Marco Corona.
SEGURIDAD SOCIAL
26 _ Pensión provisional y pensión temporal ¿doy de baja en el IMSS a la persona trabajadora? Gerardo Martínez.
CAPACITACIÓN PARA EL TRABAJO
28 _ Indicadores clave de capacitación José Luis Torres.
CINE Y OPINIÓN
30 Las “feel good movies” y su importancia para el cine Cristóbal Ruiz Gaytán.
EDITORIAL TSUR Y ASOCIADOS S.A. DE C.V.
Oscar Cortés Lecuona
DIRECTOR GRUPO EDITORIAL
Miguel Alejandro Díaz Baltazar
DIRECTOR GENERAL
Cristobal Ruiz
COORDINADOR EDITORIAL
COLABORADORES
José Luis Torres // Capacitación para el trabajo
Cristóbal Ruiz // Cine y opinión
Salvador Suárez // Comercio exterior
Dra. Mara Mendoza // Cuidado de la salud
Claudia Jiménez // Cultura
Marco Corona // Industria de la construcción
María Elena Murguía // Planeación contable
Gerardo Martínez // Seguridad social
Gilberto Martínez Pedraza
DISEÑO EDITORIAL
Cristobal Ruíz
FOTOGRAFÍA DE PORTADA Y VIDEO
Lupita Coronel MAQUILLAJE Y PEINADO
REDES SOCIALES
Carlos Morfín
FACEBOOK, PÁGINA WEB Y YOUTUBE
VENTAS COLIMA
Miguel Díaz • 312 107 1726 miguel@decisiondeempresario.com
Wilmer Camberos • 312 165 0016 wilmer@decisiondeempresario.com
Myrna Muñoz • 312 100 7090 myrna@decisiondeempresario.com
VENTAS MANZANILLO
Fabián Díaz • 314 181 1513
VENTAS NAYARIT
Daniela Guzmán • 311 138 4565
DISTRIBUCIÓN. De manera gratuita por mensajería en todo el estado de Colima. Si desea recibir la revista en su domicilio, favor de suscribirse en la página web www.decisiondeempresario.com
Año 16, Número 192, Fecha de publicación 01 de agosto de 2024. Revista mensual editada y publicada por Editorial Tsur yAsociados S.A. de C.V. Número de certificado de reserva otorgado por INDAUTOR 042020-121609031800-01. Número de certificado de licitud de Titulo y contenido 00-014-A-1436-20 con domicilio en Amatista #101 Col. Residencial Esmeralda Norte C.P. 28017 Colima, Col., México.
DecisióndeEmpresarioinvestigasobrelaseriedaddesusanunciantes,pero no se responsabiliza con las ofertas ni contenidos relacionados con los mismos.Prohibidasureproducciónparcialototal.ImpresaenMéxico,printed in Mexico por Tsury Asociados S.A. de C.V. Ejido Tomatlán 53 Col. San Francisco Culhuacán,04420 Coyoacán, CDMX. todos los derechos reservados, all rights reservedcopyrigth 2023.



POR María Elena Murguía Covarrubias

Cada vez tomando más popularidad, la Modalidad 40 es una interesante opción que nos presenta el IMSS, enfocada a trabajadores independientes, para continuar sus aportaciones ¿Lo conoces?
La Modalidad 40 es una opción del Instituto Mexicano del Seguro Social (IMSS) que permite a los trabajadores independientes, o aquellos que han dejado de cotizar al IMSS, continuar con sus aportaciones voluntarias al seguro social. Esta modalidad está diseñada para quienes desean incrementar el monto de su pensión o prolongar el tiempo de cotización.
BENEFICIOS DE LA MODALIDAD 40
Incremento del monto de la pensión. Al seguir cotizando bajo la Modalidad 40, puedes aumentar el saldo de tus semanas cotizadas y, por ende, el monto de tu pensión.
Conservación de derechos. Permite mantener los derechos adquiridos en el IMSS, como el acceso a una pensión por vejez, invalidez o cesantía en edad avanzada.
Elección del salario base de cotización. Los afiliados pueden elegir el salario con el que
quieren cotizar, lo que puede incrementar significativamente el monto de la pensión final.
Acceso a servicios médicos. Aunque la principal ventaja es el incremento de la pensión, también se puede acceder a servicios médicos, siempre y cuando se mantengan ciertas condiciones.
El esquema de pensión del IMSS bajo la Ley de 1973 ofrece beneficios diferentes en comparación con la ley actual de 1997. Algunos puntos clave son:
Requisitos. Se requiere haber cotizado al menos 500 semanas (aproximadamente 10 años) para tener derecho a una pensión de vejez o cesantía en edad avanzada.
Cálculo del monto de la pensión. La pensión se calcula en función del salario promedio de los últimos 5 años de cotización y del número total de semanas cotizadas. La Modalidad 40
permite aumentar el salario promedio cotizado, lo cual resulta en una pensión más alta.
La Ley de 1973 ofrece pensión por vejez (a partir de los 65 años) y cesantía en edad avanzada (a partir de los 60 años), siempre y cuando se cumplan con los requisitos de semanas cotizadas.
Beneficios adicionales. La pensión bajo la Ley de 1973 puede incluir prestaciones adicionales como aguinaldo, asistencia médica y ayuda asistencial.
En resumen, la Modalidad 40 es una herramienta valiosa para aquellos que desean mejorar su pensión bajo el esquema de la Ley de 1973 del IMSS, permitiéndoles continuar cotizando y maximizar los beneficios al momento de la jubilación.
Asesórate con personas capacitadas para que te ayuden a realizar una proyección de tu pensión, y asegura una vejez digna.



Las viviendas prefabricadas en México están ganando popularidad debido a sus numerosas ventajas. Sin embargo, también tienen sus desventajas.

Las casas prefabricadas en México presentan una alternativa viable y atractiva a las construcciones tradicionales, especialmente en términos de costo, tiempo y sostenibilidad. No obstante, es importante considerar las limitaciones y desafíos asociados, incluyendo la aceptación social, las regulaciones locales y los aspectos logísticos. Con una planificación adecuada y la elección de proveedores confiables, las casas prefabricadas pueden ser una excelente opción de vivienda en México.
COSTO EFICIENTE
Menor costo de construcción. Las casas prefabricadas suelen ser más económicas debido a la producción en masa.
Ahorro en mano de obra. Laconstrucciónenfábricas reduce los costos de mano de obra en el sitio.
RAPIDEZ DE CONSTRUCCIÓN
Tiempo reducido. La fabricación y el ensamblaje de componentes en un entorno controlado permiten una construcción más rápida.
Minimización de retrasos. Al reducir la dependencia del clima y otros factores externos, los retrasos en la construcción son menos comunes.
CALIDAD CONTROLADA
Entorno controlado. La fabricación en fábricas permite un control de calidad más riguroso, asegurando que cada componente cumpla con los estándares.
Menos desperdicio. La construcción en fábrica permite una mejor gestión de los materiales, reduciendo el desperdicio.
SOSTENIBILIDAD
Materiales ecológicos. Muchas casas prefabricadas utilizan materiales sostenibles y tecnologías verdes.
Menor impacto ambiental. La eficiencia en el uso de materiales y la reducción de desperdicios contribuyen a un menor impacto ambiental.
LIMITACIONES DE DISEÑO
Restricciones estructurales. Algunos diseños pueden estar limitados por las especificaciones de la fabricación modular.
Menor flexibilidad. Las modificaciones posteriores pueden ser más complicadas y costosas que en las construcciones tradicionales.
PERCEPCIÓN Y ACEPTACIÓN
Estigma social. A pesar de sus ventajas, algunas personas aún asocian las casas prefabricadas con baja calidad o viviendas temporales.
Mercado restringido. La demanda puede ser menor en comparación con las viviendas tradicionales, afectando el valor de reventa.
REGULACIONES Y NORMATIVAS
Cumplimiento local. Es esencial asegurarse de que las casas prefabricadas cumplan con las normativas locales de construcción y zonificación.
Permisos. Obtener permisos de construcción y aprobación de las autoridades locales puede ser un desafío.
TRANSPORTE Y LOGÍSTICA
Costos de transporte. El transporte de componentes grandes desde la fábrica hasta el sitio de construcción puede ser costoso.
Riesgos de daño. Existe el riesgo de daños durante el transporte, lo que puede aumentar los costos y retrasos.







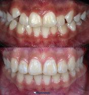
Una de las ramas más importantes de la salud es la bucal. Es inevitable, pues la boca es una de nuestras principales conexiones sociales. Desde tiempos inmemoriales, civilizaciones como la egipcia, la griega o la romana ya practicaban métodos rudimentarios de higiene y cuidado bucal, métodos que hemos ido perfeccionando hasta nuestros días, donde esta área tiene más relevancia que nunca. Después de todo, nos envuelve a todas y todos, tanto en la prevención de enfermedades, como en el cuidado estético de nuestra persona.

Por eso, esta portada la dedicamos a reconocer la labor de cuatro odontólogos, con diversas especialidades y experiencia, que han logrado demostrar cómo el trabajo, la constancia y la dedicación, te permiten sobresalir en este mercado, donde la principal moneda de cambio para tener éxito, es tu talento y preparación.
Más que doctores, son profesionales de la salud, que hoy engalanan nuestras páginas para que los conozcas, los tomes en cuenta y sepas, sobre todo, que están ahí cuando los necesites.



ODONTÓLOGA CON ESPECIALIDAD EN ORTODONCIA. CUENTA CON DIPLOMADOS EN ORTODONCIA AVANZADA Y EN PERIO-IMPLANTES.


“Parece imposible, hasta que se hace”, es la frase que define el trabajo y el camino de la Dra. Brenda Andrade. Su camino ha sido marcado por la constancia, superando las dificultades y los retos en un mercado altamente competitivo y destacándose entre sus clientes.
Interesada desde pequeña en el área de la salud, la ortodoncia la cautivó al estudiarla en Guadalajara. A partir de ahí su trayectoria ha sido destacada, siendo miembro de la Asociación Dental Mexicana (ADM), Presidenta del Colegio de Cirujanos Dentistas de Colima A.C. y actualmente desarrollando proyectos en conjunto con la ADM y diputados del Congreso Local.
Todo esto para fomentar la salud dental en cada rincón del estado, comenzando por las rancherías y las comunidades, pues considera que hace falta mucho trabajo en ese sector y ser observadora, no es una alternativa cuando se puede actuar “Deberíamos darle prioridad a nuestra salud dental. No tenemos esa cultura.
Ir al dentista no debería ser solo ante emergencias. La prevención y el cuidado siempre serán la clave”.
Se viene un gran año para la Dra. Brenda, tanto con sus proyectos sociales como con su mudanza a un nuevo consultorio, donde dará la misma atención de calidad que la ha caracterizado. Podremos encontrarla a partir de este mes en la calle Amparo Casillas #128, col. Residencial Esmeralda.
Liderazgo, trayectoria, disciplina y valor. Estos son los valores que describen a la Dra. Brenda Andrade, una de nuestras protagonistas de portada, este mes, #EnDecisión.







ESPECIALISTA EN ORTODONCIA, DIPLOMADOS EN ODONTOLOGÍA ESTÉTICA
INTEGRAL, CARILLAS DE RESINA PREMIUM, CERTIFICACIÓN EN ALINEADORES DENTALES CLEARCORRECT
Colima
312 314 4411
312 199 4792
Tecomán
313 324 3657
313 191 8379
ClinicaOMEE
@clinicaomee
Tik Tok - @clinicaomee
Threads - @clinicaomee


Con 12 años de experiencia en odontología y 5 años en ortodoncia, el Dr. Gilberto Ramírez Valle es un experto en su área, destacado por su talento y labor en Clínica OMEE, el consultorio donde comenzó a dar rienda suelta a su proyecto de vida y poner en práctica sus conocimientos. "Comenzamos con un consultorio pequeño, con todo lo necesario para trabajar. Rememorando, este se hizo en lo que era la cochera de mi casa", comenta el Dr. sobre sus inicios. "Tenía muchas ganas de cumplir mi sueño; trabajé con empeño, constancia, disciplina, esfuerzo y, sobre todo, mucho corazón".
Hoy, Clínica OMEE ha alcanzado un éxito que le ha permitido abrir una segunda sucursal, estando presentes en Tecomán y en Colima Capital. "Formamos un buen equipo de trabajo, con el cual hemos logrado una increíble sinergia para crecer aún más y brindar siempre lo mejor a nuestros pacientes".
Los retos no han sido pocos para alcanzar este punto. El más destacable es la actualización profesional, pues el ánimo de estar a la vanguardia y siempre buscar la manera de aprender ha impulsado el camino del Dr. y de todo el equipo OMEE, buscando siempre lo que consideran su recompensa: "Todos los días recibimos pacientes con diversas historias, inquietudes y problemas dentales a resolver. Algunos llegan con dolor, otros con inseguridades sobre su apariencia, y otros simplemente buscando mejorar su salud bucal", comenta el Dr. Gilberto.
"Nuestra mayor gratificación es brindarles no solo una solución médica, sino también una experiencia positiva y transformadora, para ver en ellos la confianza y la alegría al final de su tratamiento".
Además de ortodoncia, OMEE cuenta con servicios de nutrición y psicología para dar un tratamiento integral. "Somos un equipo de profesionales que ofrece los mejores servicios dentales, con la mejor tecnología y el mejor trato. Además, contamos con profesionales en otras áreas, tales como nutrición y psicología, para darle a nuestros pacientes un tratamiento integral. En Clínica OMEE no solo cambiamos sonrisas, también cambiamos vidas".







CIRUJANO DENTISTA CON ESPECIALIDAD EN ORTODONCIA, INVISALIGN DOCTOR, MIEMBRO DE LA ACADÉMIA MEXICANA DE ORTODONCIA Y LA AAO, PRESIDENTE DEL COLEGIO DE CIRUJANOS DENTISTAS DEL ESTADO DE COLIMA









ESPECIALISTA EN ORTODONCIA, MIEMBRO DE WORLD FEDERATION OF ORTHODONTIST Y DE AMERICAN ASSOCIATION OF ORTHODONTIST E INVISALING DOCTOR
@ac.especialidadesdentales


AC Especialidades Dentales

AC Especialidades Dentales



Puede llegar a darse el caso de que una persona trabajadora nuestra se presente ante nosotros con un documento denominado “Resolución de Pensión Provisional o Temporal”.

Cuando una persona trabajadora acumula cincuenta y dos semanas de incapacidades temporales, la Ley del IMSS establece que se procederá al otorgamiento de una Pensión Provisional que es motivada por un riesgo de trabajo o una Pensión Temporal que se origina por causas generales no relacionadas con el trabajo. En ambos casos, será por un período de dos años.
La Pensión Provisional puede ser “Parcial o Total”. La incapacidad permanente parcial es la disminución de aptitudes o facultades de una persona para trabajar, es decir, solo está disminuido, pero puede seguir trabajando. En este caso, la Ley Federal del Trabajo ordena que el patrón deberá reubicar a la persona en un puesto distinto que pueda desarrollar. La incapacidad permanente total es la pérdida de facultades o aptitudes de una persona para desarrollar cualquier trabajo por el resto de su vida.
Cuando la persona trabajadora se presenta con el documento de “Resolución de Pensión Provi-
sional” por un período de dos años que, una vez transcurridos, el IMSS determinará si se la retira o se la declara con carácter definitivo, como ya se mencionó, al momento de recibir el patrón el documento inicial deberá ofrecerle un trabajo que pueda desarrollar y si el trabajador manifiesta que no puede desarrollarlo, entra la duda como patrón, si lo damos de baja o no ante el Seguro Social, porque no se presentará a prestar sus servicios pero su pensión es provisional por dos años. En este caso, el patrón podrá rescindir el contrato sin responsabilidad al acumular la persona trabajadora más de tres faltas injustificadas y, en consecuencia, se puede proceder a darlo de baja.
Tratándose de la Pensión Temporal que es por una causa distinta a un riesgo de trabajo y que también es por un período de dos años para ver si la persona se logra recuperar, se procede en los términos del artículo 53 fracción IV en relación con el 54 de la Ley Federal del Trabajo. El patrón ofrecerá un puesto que el trabaja-
dor pudiera desarrollar o un mes de salario, a elección del trabajador; si toma la primera opción, entonces recibirá su pensión además de su sueldo, si opta por el mes de salario entonces, la relación de trabajo terminó y se procederá a presentar el aviso de baja al IMSS.
En este tipo de situaciones escucharemos otra opinión en el sentido de que no podemos darlo de baja por no ser definitiva, lo cual resulta incongruente porque, como patrón, pagamos un seguro para que el IMSS me releve de obligaciones, entonces no es congruente que tenga una pensión y no darlo de baja porque esa inacción provocaría que se tuviera que seguir pagando cuotas durante dos años, sin recibir los servicios subordinados de la persona trabajadora.


¿Sabes qué es un proceso de gestión de capacitación? Más importante ¿Estás consciente de su importancia y de la diferencia entre llevarlo a cabo y no hacerlo en tu empresa?
Un proceso de gestión de capacitación implica diversas etapas para lograr resultados favorables. Una de estas etapas consiste en evaluar si los resultados de la formación al personal están logrando los resultados previstos del programa establecido. Contar con un sistema de indicadores será fundamental para obtener datos e información que evalúen los procesos de capacitación, el valor agregado a las competencias del personal y hasta el retorno de la inversión realizada.
Considerando los objetivos de la organización, la formación deseada, los planes desarrollados y los recursos asignados, a continuación se exponen algunos de los principales indicadores por adoptar:
Cifra generadora directa. Básicamente la medición más sencilla de aplicar e interpretar, considera los datos acumulados de las acciones realizadas; horas de capacitación, inversión realizada o cantidad de trabajadores formados en un periodo de tiempo.
Eficacia de cumplimiento. Implicará contrastar principalmente lo programado contra lo realizado; algunos indicadores resultantes serían: cursos realizados entre la cantidad de cursos programados, cantidad de personal asistente a capacitación entre personal programado, presupuesto aplicado entre presupuesto asignado. Cada una de estas razones determinará un valor en porcentaje que, al integrarle límites o un valor de referencia con base en requisitos predeterminados, nos mostrará el rango aceptable o desviaciones.
Grado de retención. Al completar un programa se evalúa la cantidad de conocimientos

adquiridos y demostrados en la ejecución de sus propias tareas rutinarias.
Desarrollo de destrezas. Evalúa el nivel de habilidades que le permitan ejecutar las tareas con un grado de mejora de acuerdo con el desempeño realizado, por ejemplo, el incremento de precisión, rapidez, reducción de pérdidas, entre otras.
Para la obtención de información significativa, en algunos casos se deberán aplicar análisis
previos a la capacitación y ser comparados con los resultados obtenidos al ser aplicados los conocimientos en el campo o área laboral del personal.
Un indicador representa un instrumento clave para la toma de decisiones, y a su vez orientará en la mejor dirección para el logro de los resultados deseados para la organización.

POR Cristóbal Ruiz Gaytán Trujillo


En Wonka (Paul King, 2023) hay una escena preciosa, donde el protagonista homónimo entrega un par de chocolates a los pasajeros de un vagón, diciéndoles que si los comen, todo se volverá un musical de Broadway. Ellos hacen caso y acto seguido, cada pasajero en el vagón tiene una coreografía ensayada, voces afinadas y los movimientos correctos para hacer una gran escena, no por su drama, su peso emocional o su experimentación fílmica, sino porque logra desconectarte de la realidad y te permite sentir ese musical, como si ocurriese a tu alrededor.
Esa es la esencia de una “feel good movie”, el alejarte de lo mundano para disfrutar lo extraordinario como solo el cine puede hacerlo. Ejemplos de estos filmes hay tantos y variados, que llegan a todos los gustos y en prácticamente todos los géneros.
Hay filmes animados, como Winnie Pooh; comedias clásicas, como School of Rock; obras maravillosas como Babe; o romances, como Love Actually
Lo que hace especiales a este tipo de películas, es el no tratar de negar que los malos momentos, o las malas personas existen, sino de reafirmar que superarlos está dentro de uno, de su propia historia y las decisiones que tome en la misma.
En Winnie Pooh, Cristopher Robin sabe que crecerá y algún día olvidará el Bosque de los Cien Acres; En School of Rock, Jack Black es descubierto como impostor, y se le prohíbe seguir enseñando a los niños de quienes tanto se ha encariñado; en Babe, Ma, una de las ovejas principales que ayuda al protagonista en su camino, muere a manos de un perro ovejero
y Babe es culpado injustamente por su muerte; o en Love Actually, donde cada historia de amor se ve frenada por la realidad que les rodea, sólo para superarse por las decisiones de quienes las viven.
Es la magia del cine en práctica: Esa gran capacidad que tiene de extraerte del mundo y dejarte creer, aunque sea por un momento, que los chocolates harán de tu día un musical bien ensayado.
Te recomiendo que veas cualquiera de las películas mencionadas, y si ya las viste, dale una oportunidad a filmes como Paddington o el mismo Wonka, ambas de Paul King, y ambas obras increíbles que merecen mucho la pena.
Sin más que agregar, soy Cristóbal Ruiz Gaytán… Disfruten la función.



