





Aunqueatodasluceselcaminoalapresidenciacomenzóhaceaños,esteseptiembre nosdejóconmuchaclaridadsobreelqueseránuestrofuturocercano.Condos candidatasrodeadasdeapoyo,lomásprobableesquetendremosnuestraprimera Presidenta,logrousualmentereservadoparanacioneseuropeasyenelquelesganaremos (quizáporprimeravezennuestrademocracia)alosvecinosdelnorte.
Esaplaudible,perotambiénpreocupante,sobretodoconsiderandoelauraconquellegan ambas,envueltasporlacrítica,lapropagandayunsentimientodedivisiónqueabsorbela atenciónmediáticacomosideunimánsetratase.
Aunquemuchospodríanjustificarlodebidoalasdeficienciasquetienelapolítica,larealidades quelosmediosdecomunicacióntenemosmuchaculpa,puessolemoscazarlapopularidadpor encimadelcriterio.Unademocraciacuyainformaciónsebaseenlacantidaddelikesque alcanza,caeráquebrantadaantelaausenciadesolidezensusvotantes.
Busquemosalgodiferente.EstemesenDecisióndeEmpresarioproponemosanalizar,conla cabeza,noelhígado,elcaminoquenuestranaciónpuedetomarenunaño,explorandoelpasado (conacciones,medicionesyresultadospalpables)parateneruntenuevistazoalfuturo.
BuscamoshablarconcriteriodelasposibilidadesqueelmañanaaguardaparaMéxicoy deseamosquetu,aligualquenosotros,busqueslomismo.Estásinvitadaeinvitadoalanálisis, lacríticayadescubrirjuntos,loscaminosquedeparananuestropaís.
CristóbalRuizGaytánTrujilloEDICIÓNDIGITAL
Léenosyllévanoscontigoadondesea. Visita www.decisiondeempresario.com & issuu.com/decisiondeempresario
@DECISIONDEEMPRESARIO Síguenosenlasredessocialesparamás información,comentariosydetrásde cámarasdenuestrasediciones.
CentroMédicodeColimaseencuentralistoparaenfrentarlos desafíosdelamedicinamoderna,cuidandotusaludconpasión yprofesionalismo,cualidadesquehansidounsellodistintivo durantemediosiglo.
CUIDADO DE LA SALUD
08 Evaluacióndelamamaporimagen Dra.YureliTéllez.
COMERCIO EXTERIOR
10 _ Lagranoportunidad SalvadorSuárez.
CULTURA
12 _ ¿Cómoincursionarenelarte enlaedadadulta? ClaudiaJiménez.
REPORTAJES
20 _ Elevatuvida
DescubreladanzaaéreaenAktiveGym.
22 _ Obesidadycardiopatía
Unabordajeintegralparaunapandemia creciente.
EDITORIALTSURYASOCIADOSS.A.DEC.V.
OscarCortésLecuona
DIRECTORGRUPOEDITORIAL
MiguelAlejandroDíazBaltazar
DIRECTORGENERAL
AarónAndradeRamírez
COORDINADOREDITORIAL
COLABORADORES
JoséLuisTorres //Capacitaciónparaeltrabajo
CristóbalRuiz //Cineyopinión
SalvadorSuárez //Comercioexterior
Dra.MaraMendoza //Cuidadodelasalud
ClaudiaJiménez //Cultura
FátimaGaray //DesdeEuropa
CarmenLorenzo //Herramientastecnológicas
MarcoCorona //Industriadelaconstrucción
MaríaElenaMurguía //Planeacióncontable
GilbertoMartínezPedraza
DISEÑOEDITORIAL
AarónAndrade
FOTOGRAFÍADEPORTADAYVIDEO
EdgarValdivia
MAQUILLAJEYPEINADO
REDESSOCIALES
SofíaCortés
FACEBOOK,PÁGINAWEBYYOUTUBE
VENTASCOLIMA
MiguelDíaz•3121071726 miguel@decisiondeempresario.com
WilmerCamberos•3121650016 wilmer@decisiondeempresario.com
MyrnaMuñoz•3121007090 myrna@decisiondeempresario.com
VENTASMANZANILLO
OmarFigueroa•3315842924 omar@decisiondeempresario.com
VENTASNAYARIT
NaomiNuñez•3112206000 naomi@decisiondeempresario.com
VENTASSURDEJALISCO
HortenciaSalcedo•3411121563 hortencia@decisiondeempresario.com
VENTASSINALOA
CarlosAldair•3111163814 carlos@decisiondeempresario.com
DISTRIBUCIÓN.Demaneragratuitapormensajeríaentodoelestadode
Colima.Sidesearecibirlarevistaensudomicilio,favordesuscribirse enlapáginawebwww.decisiondeempresario.com
Año16,Número180,Fechadepublicación01deoctubrede2023. RevistamensualeditadaypublicadaporEditorialTsuryAsociadosS.A. deC.V.NúmerodecertificadodereservaotorgadoporINDAUTOR042020-121609031800-01.NúmerodecertificadodelicituddeTituloy contenido00-014-A-1436-20condomicilioenAmatista#101Col. ResidencialEsmeraldaNorteC.P.28017Colima,Col.,México.
DecisióndeEmpresarioinvestigasobrelaseriedaddesusanunciantes,pero noseresponsabilizaconlasofertasnicontenidosrelacionadosconlos mismos.Prohibidasureproducciónparcialototal.ImpresaenMéxico,printed inMexicoporTsuryAsociadosS.A.deC.V.EjidoTomatlán53Col.San FranciscoCulhuacán,04420Coyoacán,CDMX.todoslosderechos reservados,allrightsreservedcopyrigth2023.
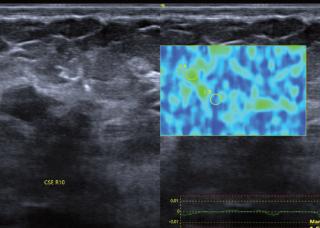
Laprevencióndelcáncermamarioenla mayoríadelosestudiosobservaciona‐leshademostradounaumentoenel riesgocuandosecombinanlosfactores convencionalesconelpatrónhereditarioo familiar.Esimportanteconocerelriesgoindi‐vidualdelaspacientesenlasevaluaciones periódicasporimagenyparadeterminarlose realizaunaencuestaacercadelahistoria familiardecáncerdemama,factoreshormo‐nalesyreproductivos,estilodeviday condicionesmamariasprevias.Estonos permitehacerunaevaluaciónintegralytomar accionesdirigidasquepuedanimpactarposi‐tivamenteenladeteccióntempranaylapre‐venciónprimaria.
Enapegoalasrecomendacionesrealizadas porelConsensoMexicanosobreeldiagnósti‐coytratamientodelcáncermamario2023,las recomendacionesgeneralesson:
•Eliniciodelautoexamenmamarioa partirdelos18años.
•Examenclínicoanualapartirdelos25años.
•Mastografíaanualdetamizajeenmujer asintomáticaapartirdelos40años.
•Elultrasonidomamarioeselestudiode eleccióninicialenmujeresmenoresa35 años,conpatologíamamaria.
•Lamastografíadedetecciónsumadaal ultrasonidoenmujeresconmamadensa aumentalasensibilidaddelaprimeratéc‐nicahastaun87%.
Retrasarladetecciónhastalos45o50añosre‐sultaenpérdidasinnecesariasdevida,afecta principalmentealasminoríasyalasmujeres enpaísessinunsistemaorganizadodetamiza‐jeparaelcáncerdemama.Iniciareltamizajea los40añostienevariosbeneficiosentrelos queseincluyen:reducciónenlamortalidaden un40%,diagnósticoenetapastempranas,me‐joresymayoresopcionesquirúrgicasy respuestaeficazalaquimioterapia.
Actualmentelasunidadesdeatención especializadaenladeteccióndelcáncerde mamacomolaqueseencuentraennuestro centrodediagnóstico,seenfocanenbrindar atenciónintegralteniendocomoobjetivo ofrecerunmodelodeatenciónqueabarque desdelaprevenciónyrealizacióndeltamizaje eneldiagnósticotempranodelcáncerde mama,asícomoelseguimientoyvigilanciade lasdiversasenfermedadesdelamama.
Serecomiendaquelasmujeresdebende continuarconeltamizajeanualmientrasgo‐cendebuenasalud,yrealizarlobajolosestán‐daresdecalidadadecuadosquenosofrecela mastografíadigitalyelultrasonidoespecia‐lizado.Tomarencuentaelcontextoclínico,el riesgoindividualdecadapacienteysobre todonoperderlaperiodicidaddelas evaluacionesporimagenyaquesehademos‐tradoquelasumadelosmétodosdiagnós‐ticoscomolamastografíayultrasonidoau‐mentanlasensibilidaddelabúsqueda.
DRA.YURELITÉLLEZLÓPEZ
• MédicoRadiólogoenelCMNLaraza(UNAM)
• Altaespecialidadenimágenesyprocedimientos intervencionistasdelamamaenelHospitalMédicaSur
• CertificadaporelConsejoMexicanodeRadiología
• MiembrodelaAsociaciónMexicanadeMastología
Estabilidadeconómica,unamayorcertidumbreenlasdecisiones quetomaelgobiernofederal,importantesproyectosde infraestructurayuncontextointernacionalquehacolocadoa Méxicoenlosreflectoresdelmundoydelosempresarios extranjeros,estándandopasoaunperiododeoportunidad.La preguntaes…¿Loaprovecharemos?
SehabladeMéxicoenelexteriorcomo unlugarqueestácapitalizandoel nearshoringydeunpaíscongrandes proyectosdeinfraestructuracomoelCorredor InteroceánicodelIstmodeTehuantepecyel TrenMaya.Deformapersonalyatravésdemi empresaGPerspective,replicoesta informaciónpordistintosmediosdecomu‐nicacióneidiomas(español,inglésychino mandarín)paramotivaramásempresarios extranjerosadesarrollarnegociosyproyectos decooperación.
Lasoportunidadessepercibendeformadis‐tintaencadaregión.Mientraselnorte,elbajío yelcentrodelpaísseestánbeneficiandode lasinversionesnacionalesyextranjeras,oel suresteporlaconstruccióndegrandespro‐yectosdeinfraestructura;otrasregionesyes‐
tadosnoestánlograndocapitalizarestemo‐mentofavorableparalosnegocios.Para volversemásatractivosesnecesarioimpulsar distintasestrategiasenmateriaeconómica.
PROPONGOLOSIGUIENTE:
Desarrollarunaestrategiadeatracciónde inversionesquecontemplelasventajas competitivas,comparativasyunapresen‐taciónmaestradelEstado.Asícomounaeta‐padeejecuciónyseguimiento.Además,de prepararplanesdenegociodeproyectoses‐tratégicosparainversionistaslocales,nacio‐nalesyextranjeros.
Enestemismosentido,serequiereatraerinver‐sionesquegenerenempleosdignosyseajus‐tenanuestrasregulaciones(Incluyendolasre‐
lacionadasalcuidadoalmedioambiente). Ampliarelmercadoparalosproductosloca‐les,incluyendoartesaníasyagroalimentos,a partirdeasesorarybrindarapoyoy acompañamientoalosempresariosyemprendedores.Elobjetivoescomercializarsus productosanivelnacionaleinternacional. Promoverelcomercioelectrónicoencada rincóndelestadoparaquelasMiPyMEsy emprendedorescomercialicensusproductos. Transferirtecnologíaqueimpulselacompe‐titividaddelasempresaslocales.Identificar maquinariayequipoaprecioscompetitivos paralossectoresproductivosenelestado. Promoveralianzasestratégicasentreempre‐saslogísticaslocalesyextranjerasparaencon‐trarnuevosclientesyampliarsusservicios. Elcrecimientoydesarrolloeconómicodeun estadoesresponsabilidaddetodos.Tene‐mosqueuniresfuerzos.Elgobiernocreando elambientepropicioparalosnegocios;elsec‐toracadémicodesarrollandoinvestigaciones actuales,prácticasyútilesquefacilitenla tomadedecisiones;elsectorprivadoimpul‐sandolaproductividaddesusempresasy escuchandorecomendacionesdelsector académico;ylasociedadtrabajandopara transformarnuestrarealidad.
LascondicionesparalosnegociosenMéxico sonfavorables,elpaísesatractivoanivel internacionalporfactoresinternosyexternos, ydesconocemosporcuántotiempocontinua‐ráesteambiente…Cadapersonapuedeapro‐vecharonoestarealidad,peroestamosvivien‐dolagranoportunidad.
Unbueninicioespensarentodoaquelloquenos hubieragustadoaprendercuandoéramospequeños.
“Másvaletardequenunca” mencionaunmédico despuésdetomarsuprimera clasedeviolín,deniñosmuchasveceslas clasesextracurricularesquesetomanson elegidasporlospadresohayquiennocuenta conelrecursoeconómico.Unbueninicioes pensarentodoaquelloquenoshubiera gustadoaprendercuandoéramospequeños, sinembargolamayoríadelaspersonas mayoresnolollevaacaboenmuchas ocasionesporqueconsideraqueesmuytarde aunqueyasecuentaconelrecursoytiempo pararealizardichaactividad.
Mirecomendacióncomoartistaessolouna, HAZLO,losbeneficiosacortoylargoplazo sonimpresionantes.Elarteayudaareducirel estrésasícomoesunexcelentegestorde emocionespuesnospermitecomunicarnosy liberarciertascargasemocionales,ayudaa mejorarlamemoriayenalgunasdisciplinas
artísticascomoelbaileayudatambiéncomo actividadfísica.
¿Cómoinicio?Despuésdepensarcuálesla disciplinaalaquetegustaríaincursionares importanteinvestigarsientuciudadexistealgu‐naacademiaoescuelaqueimpartaclases,aho‐raconlasredessocialesesmuysencilloencon‐trarmaestrospuesenelbuscadortepuede lanzarunaseriederesultados.Esimportante mencionarquemuchasveceslasactividades grupalestienenuncostomenorquelasque requierendeunaenseñanzaindividual,por ejemplounclasedebailepuedeteneruncosto mensualdeaproximadamente$500mientras unasolaclasedeinstrumentoesotepuedecos‐tar.Otroaspectoaconsiderarsonlosgastos comolacompradelinstrumento,porejemploun violínpuedecostardesde$2000mientrasun pianoaunqueseadigitalsetriplicasucosto.
Otrodatoimportanteesquecomotodaslas disciplinasrequieresutiempodeestudiopara
tenerresultados,asíqueademásdelaclase sedebeconsiderarsiestásdispuestoadedi‐carletiempoalapráctica.
Siaúnasítienesdudasoloquierorecordarte algunosartistasqueiniciarontardeysuho‐bbielovolvieronalgoprofesional,talesel casodeJoséSaramagoqueantesserescritor fuemecánicoyadministrativoyen1998reci‐bióelPremioNobeldeLiteratura;tambiénotro casodeéxitoaunaedadmuchomás avanzadaeseldelagranescritorainglesaPe‐nélopeFitzgeraldquienpublicósuprimerlibro cercadelos60años,porotroladoenlapintu‐ratenemosaVincentVanGoghquienempezó apintaralos27añosdeedad.Sindudanunca estarde,losbeneficiosylasposibilidadesde relacionarseyencontrarnuevosamigoses unadelascosasmásenriquecedorassuman‐doalaposibilidaddeapreciaryentenderel artemásdecerca,ytú¿Cuálesladisciplina artistaalaquetegustaríaincursionar?
CELEBRANDO50AÑOSDESERVICIO DELCENTROMÉDICODECOLIMA
Haceyacincodécadas,una sociedaddemédicosse unieronenunesfuerzo quecambiaríaelcursodela atenciónmédicaenlaregión. Conunavisióncompartidade brindaratencióndecalidadycalidez,dieron vidaaunproyectoqueseconvertiríaenun farodeesperanzaysaludparalacomunidad colimense.Hoy,secelebranconorgullo50 añosdelCentroMédicodeColima.
UNLEGADODEEXCELENCIAMÉDICA
Corríaelaño1972cuandoestosvalientespio‐nerosdecidieronqueerahoradeconstruirun hospitalprivadoqueestuvieraalaalturadelas demandasdeunasociedadencrecimiento. Fundaronunaempresayseembarcaronenel proyectodeedificaruncentromédicoqueno solocumplieraconlosestándaresdelaépoca, sinoquetambiénpudieraadaptarseyevolu‐cionarconlosavancesmédicosytecnoló‐gicosqueestabanporvenir.
El1deoctubrede1973,esesueñoseconvirtió enrealidadconlainauguracióndelCentroMé‐dicodeColima.Enesemomento,seerigió comounodelosprimeroshospitalesdeles‐tado,unlugarqueprontosedestacaríapor albergaralosmejoresespecialistasdela regiónyofreceríadiagnósticosytratamientos precisosyefectivos.Lospacientesprovenien‐tesdediversaspartesdelaregióncomenza‐ronapreferirsusservicios,loqueconsolidóel granprestigio.
Enlasúltimascincodécadas,elCentroMédico deColimahacontinuadosubúsquedaconstante delaexcelencia.Sehamodernizadoyevolucio‐nado,tantoeninfraestructuracomoenlaoferta deserviciosespecializados.Lavisióndecuidarla saluddelasociedadloshallevadoaformarun equipomultidisciplinariodeprofesionales altamentecapacitadosparabrindaratenciónde primeracalidadenlaconsultaprivada.
Unhospitalconlatecnologíamédicamás avanzadaeinnovadora,asegurandoquesus pacientestenganaccesoalasherramientas máspoderosasparaeldiagnósticoyeltrata‐miento.Estainversiónentecnologíasesuma alatradicióndeatenciónhumanaycompasi‐vaqueloshacaracterizadodesdeelinicio.
HOMENAJEANUESTROSFUNDADORES
Hoy,esimportanterecordaryhonraraaque‐llosvisionariosquesentaronlasbasesdeeste granhospital.Entrelosfundadoresseencuen‐trannombrescomolosDoctoresJoséReyes
Llerenas,EnriqueBrizuelaVirgen,Rogelio CárdenasAlcaraz,JoséBernal,Guillermo CárdenasJiménez,RaúlSevillaRamírez,ymu‐chosotros.Sudedicaciónypasiónporla
medicinaallanaronelcaminoparaloque hoyeselCentroMédicodeColima.
Enlainauguracióndelnosocomio,se contóconladistinguidapresenciadel gobernadordelestado,Profr.Pablo SilvaGarcía,elgobernadorinterino nombradoporelCongreso,Dr.LeonelRamírez García,yelcandidatodelPRIyfuturogobernador enesaépoca,Lic.ArturoNoriegaPizano.Este eventomarcóeliniciodeunahistoriadeéxito quecontinúahastaeldíadehoy.
COMPROMETIDOSCONELFUTURO
Alolargodeestos50años,elCentroMédico deColimahaconstruidounarelaciónsóliday deconfianzaconmédicosypacientespor igual.Comprometidosaseguirsirviendoala sociedadcolimenseconlosmismosestánda‐resdeexcelenciaqueloshancaracterizado. Mirandohaciaelfuturoconentusiasmoy dedicación,elCentroMédicodeColimase encuentralistoparaenfrentarlosdesafíosque lamedicinamodernapuedapresentar,cuidan‐dotusaludconlamismapasiónyprofesio‐nalismo,cualidadesquehansidounsellodis‐tintivodurantemediosiglo.
ElCentroMédicodeColimaestáaquíparacui‐darlehoy,mañanaysiempre.
¡Graciasporsuconfianza durantetodosestosaños!
MISIÓN
Somostuinstituciónquecuida, promueveyrecuperatusalud, mejorandotucalidaddevida
VISIÓN
Serlamejoropcióndeatención médicaenColimaylaregión,con calidad,seguridadysustentabilidad.
Enelaño1972seconstituyóungru‐podeespecialistasyformaronla SociedadAnónimadenominada
UNIÓNMÉDICAQUIRÚRGICADE COLIMASADECV,mismoqueinició susoperacionesel01deoctubrede 1973enlacalleMaclovioHerrera #140delaciudaddeColima,Col. ConlosserviciosdeHospitalización, Urgencias,Laboratorio,Imagenolo‐gíayQuirófanos.
Enelaño2004seremodelóyamplióel estacionamiento,secambiólafa‐chadayseremodelaronlosquirófanos, vestidoresmédicos,cuartosdepacien‐tesyconsultorios,tambiénsecambió elmobiliariodelashabitacionesyse construyóunnuevoquirófano.
Enelaño2007seintegranalCentro MédicodeColimaungrupodemé‐dicoscardiólogos,hemodinamistas yanestesiólogosyformanunaso‐ciedadllamadaHEMODINAMIAY TERAPIACARDIOVASCULAR,S.C.
Enelaño2006,seremodelóyse amplióeláreadeurgencias,seinau‐gurannuevosservicioscomoson: UnidaddecuidadosintensivosNeo‐natales,UnidaddeTerapiaIntensiva.
Ennuestroafándemejorarlacali‐daddelosserviciosqueofrecemos, nuestrainstituciónrecibeenelaño 2005lacertificacióndeEstableci‐mientosdeAtenciónMédicayen 2009nuevamenteobtienela recertificación.
Enelaño2011seotorgaanuestra instituciónlacertificacióndeCali‐dadAmbientalconperiodode20112013emitidapor(PROFEPA), convirtiéndonosenelprimerhospi‐talprivadoenelestadodeColima quelograestereconocimiento.
Enelaño2020seadquirierondos terrenoscolindantesalhospitalpara creceryconstruirunáreadeTerapia Intensivaparaadultosyneonatos, ademásdeunsegundopisoparael proyectodehabitacionesestándar dehospitalización,unasaladepro‐cedimientosydosconsultorios,mis‐mosqueentranenoperaciónelsep‐tiembredel2022.
Enelaño2015seadquirióunnuevoedificioporlacalleCo‐rregidora#260,elcualseremodelóyadaptóparaoficinasad‐ministrativas,comunicándosedirectamenteconelhospital.
EnelmismoañoseconstruyeroncuatrohabitacionesMáster Suites,conectándoseconlasáreasverdesdelhospital.
URGENCIAS
Esunespacioquetrabajalas24horasatendi‐doporpersonalcapacitadoconapoyode interconsultas.
Estaáreacuentaconequipodealtatecnologíay personalespecializado,setieneunsitioconseis camas,unasaladeprocedimientosydoscon‐sultorios,unespaciocongraninfraestructura.
Unespaciodegranapoyoatodopacienteque demandalaatención,ofreciendoconfiabili‐dad;elCentroMédicodeColimacuentacon áreasespecialesdeimagen.
Laestructuradenuestrohospitalcuenta contresquirófanos,unasaladeexpulsión obstétricayunasaladelabordeparto.ha‐bilitadosparacualquiereventualidad.
Antelagrandemandaenemergenciascardio‐vasculares,elCentroMédicodeColima implementóelserviciodehemodinamia,con esto,elpacienterecibeuntratamientocon mayoroportunidaddevida,evitandolare‐ferenciaaotroestadoqueimpliquemayor riesgoparaelpaciente.
Lascamascensablessehandiferenciado paraelconfortdelpacienteysusfamiliaresen general,consuitesymástersuites.Lainterco‐municacióndelpacienteconeláreadeenfer‐meríaesaltamenteefectivayfacilitalacoordi‐naciónconsumédicotratante.
CUNEROS
ElCentroMédicodeColimacuentaconun áreadestinadaexclusivamenteparavigilary atenderlasnecesidadesdelosreciénnacidos ysuscuidadosespecialeshastaquelamadre esdadadealta.
Ladanzaaéreaesunadisciplinaque combinaelementosdebaileyacro‐bacia,utilizandotelas,aros,trapeciosu otrossoportessuspendidosenelaire.Estaac‐tividadtienemúltiplesbeneficiosparalasalud físicaymental,mejorandolafuerza,laflexibili‐dad,lacoordinación,lapostura,laautoestima ylacreatividad.
EnelAktiveGym,ofrecemosclasesdedanza aéreaparatodoslosniveles,desdeprinci‐pianteshastaavanzados,conentrenadores experimentadosqueteguiaránpasoapaso enelaprendizajedeestatécnica.Además, contamosconunasinstalacionesmodernas yseguras,equipadascontodolonecesario parapracticarestamodalidadconcomodi‐dadyconfianza.
Siestásenbuscadeunaexperiencianueva, emocionanteyllenadedesafíos,teinvitamos
aunirteanuestrasclasesdedanzaaéreay descubrirportimismolosbeneficiosqueesta disciplinatienereservadosparatucuerpoy mente.Noimportatuedadnitucondiciónfí‐sica;todoloquenecesitaseseldeseode aprenderydisfrutar.TeesperamosenAktive Gym,listosparaacompañarteenestaemocio‐nantetravesía.
¡Tuaventuraenlasalturasestáporcomenzar!
Laobesidadsehaconvertidoenunaver‐daderapandemiaennuestropaísyen todoelmundo,unproblemadesaludpú‐blicaquerequiereunaatenciónintegral.Porello enelmarcodel11deoctubreenquesecelebra elDíaLatinoamericanocontralaObesidad,hab‐laremosdelarelaciónqueexisteconestepro‐blemaylasenfermedadescardiovasculares,des‐tacandolaimportanciadeunenfoquecompleto ycuidadosoparaabordarestedesafíocreciente.
Unodelospilaresfundamentalesparacombatir laobesidadeslaeleccióndealimentosba‐lanceadosylacomprensióndelasnecesidades calóricasdiariasdeacuerdoconlaedad,elsexo yelniveldeactividadfísica.Estoimplicanosolo reducirlaingestadecaloríasvacíasyalimentos procesados,sinotambiénincorporarunavarie‐daddenutrientesesencialescomovitaminas, mineralesyfibraenladieta.
Ademásdelaalimentación,escrucialdescartar enfermedadessecundariasquepuedancontri‐buiralaobesidad.Condicionescomoelhipo‐tiroidismo,ladiabetesylasenfermedadesendo‐crinaspuedentenerunimpactosignificativoen elpesocorporal.Porlotanto,esesencialrealizar unaevaluaciónmédicaexhaustivaparaidentifi‐carytratarcualquierenfermedadsubyacente quepuedaestarcontribuyendoalaobesidad.
Enlaactualidad,existenmedidasefectivas paraabordarlaobesidad,incluidaslascirugías bariátricas.Sinembargo,esfundamental evaluarcadacasodemaneraintegral.Lasciru‐gíasbariátricaspuedenserunaopciónvaliosa paraalgunaspersonasconobesidadextrema, peronosonlasoluciónadecuadaparatodos.
Laevaluacióncuidadosadelosriesgosybene‐ficios,asícomoelseguimientomédicoconti‐nuo,sonesencialesenestoscasos.
Larelaciónentrelaobesidadylasenferme‐dadescardiovascularesesinnegable.Laobe‐sidadpuededesencadenarunaseriedeefec‐tosadversosenelsistemacardiovascular,au‐mentandoelriesgodedesarrollarcondiciones comolacardiomegalia,ladisfuncióndiastó‐licaylacardiopatíaisquémica.
Cardiomegalia. Laobesidadpuedellevaralagran‐damientodelcorazón,unacondiciónconocida comocardiomegalia.Estoponeunacargaadicio‐nalenelcorazónypuedellevaraproblemasde bombeoineficienteydisfuncióncardíaca.
Disfuncióndiastólica. Lacapacidaddelco‐razónparallenarsedesangreadecuadamente durantelarelajación,conocidacomofunción diastólica,puedeversecomprometidaenper‐sonasconobesidad.Estopuedeconducira unadisfuncióndiastólica,queesunfactorde riesgoparalainsuficienciacardíaca.
Cardiopatíaisquémica. Laobesidadaumenta elriesgodeacumulacióndeplacaenlas arterias,loquepuedellevaralacardiopatía isquémica,unacondiciónenlaqueelflujo sanguíneoalcorazónsevecomprometido,au‐mentandoelriesgodeunataquecardíaco.
Laobesidadysusefectosenlasaludcardíaca sonunproblemaqueafectaatodalasocie‐dad.Paraabordarestedesafío,esfundamen‐talquetodoscambiemosnuestraculturaen tornoalaalimentaciónyelestilodevida.Esto incluyefomentarlaeducaciónsobrela importanciadeunaalimentaciónequilibrada, lapromocióndelaactividadfísicayelacceso aatenciónmédicaadecuada.
Avisodepublicidad:2306012002A00120