



¿Tepreocupaelfuturo?Nomerefieroaesaconsternaciónquetodasytodostenemos delmañana,delaincertidumbre.Tampocoatemasmedioambientales,quesinduda deberíanestarennuestramentetodoeltiempo.Hablo,másbien,detufuturo laboral,delaposibilidadcadavezmayordeserreemplazadoporunbrazorobótico,unaapp popularopeor,unaIAquehagatusfuncionesmásrápidoymejor.
Esunaconsternacióncreciente,ennuevasgeneraciones,perotambiénenlasactuales.Lohemos vivido.CuandoUbersurgió,lostaxistascreíanquefracasaría.Pocoapocofuetomandomásy máspaísesensucrecimiento,comounaopciónaccesible,conlapopularidaddelos smartphones.Lostaxistassiguieronignorándolo,sinevolucionarohacersecompetitivos.Para cuandosintieronsutrabajoenriesgo,eramuytarde.
Esoestápasando,sobretodoconelcrecimientodelasIA´s.Cadavez,haymásprogramasque realizantucontabilidad,queorganizantudía,quetedandietasbalanceadas,queteenseñan otrosidiomas,queteayudanconlascompras.Inclusoestetexto,estáescritoenparteporuna InteligenciaArtificial,peroelavancedelasmismasestal,queencontrarelpuntodondeella escribeydondecomienzoyo,sevuelvecasiimposible.
¿Tepreocupaelfuturo?Unodondecontadores,nutriólogos,mercadólogos,periodistas, diseñadores,entremuchosymuchosotrosoficios,veanenriesgosusupervivencia,alser fácilmentereemplazables.Esemañanaqueveíamosenpelículasdelos80´s,estásiendo rebasadorápidamenteyelfactorhumano,esignoradocadavezmás.Pero,notomemoslaruta quetomaronlostaxis.Pormásqueasuste,pelearcontraelprogresoesinútil.Mejor, preparémonos,veamoslaslimitacionesqueestosavancestienenybusquemostrabajar alrededordelasmismas.Hagamosnuestraparte,viendohaciaelmañana,construyendoun mejorcaminopararecorrerlo.
Somoscapacesdelograrlo.Oquizá,esoloescribiólaIA,paradarnosconsuelo.
EDICIÓNDIGITAL
Léenosyllévanoscontigoadondesea. Visita www.decisiondeempresario.com & issuu.com/decisiondeempresario
@DECISIONDEEMPRESARIO
Síguenosenlasredessocialesparamás información,comentariosydetrásde cámarasdenuestrasediciones.
No. 177 Año15
DecisióndeEmpresarioagradecealHo‐telFiestaInntodaslasfacilidadespara lasesiónfotográficadeportadae interioresdeestaedición.Nuestroreco‐nocimientoyampliarecomendación.
EN PORTADA
¡LaorganizacióndeNetworkingestratégicomásgrandedelmundo presenteenlaCiudaddeColima!
20 _ Corporativo S-AAbogados prevenciónylitigiolaboral empresarial.
21 Construmanía Calidadencadadetalle, experienciaqueconstruye confianza.
22 _ CTIMicrosip Expertosensoluciones tecnológicasparael crecimientodetunegocio.
23 _ WorlDigital Publicidadparatu negocio.
24 _ Mascos Tecnologíalíquida entuvida.
25 _ UnivaplantelColima Unapropuestaeducativacon visiónglobal.
26 _ Serrano&Covarrubias Abogados Profesionalismoyexperiencia quegeneranconfianza.
27 ServiciosContables Integrales Especialistasenlaresolución deproblemascontables, fiscales,legalesy administrativos.
COMERCIO EXTERIOR
06 Innovaciónabierta SalvadorSuárez.
CUIDADO DE LA SALUD
08 _ Síndromedetúneldelcarpo Dr.NelsonDueñas
CINE Y OPINIÓN
10 _ DrivetoSurvive ylaimportancia delamercadotecnia CristóbalRuizGaytán.
CULTURA
12 _ Elartedelinfortunio ClaudiaJiménez.
INNOVACIÓN EN GINECOLOGÍA
14 _ Rejuvenecimientoíntimo Dra.AlejandraLópez.
CAPACITACIÓN PARA EL TRABAJO
16 Empresasproductivas JoséLuisTorres.
DECISIÓN RECOMIENDA
28 _ RestauranteCaféÉpoca27 Comidaconencantoenunambientecon historia.
REPORTAJE
30 _ Loquedebessabersobre lamiocarditis Dr.ErickDávila.
EDITORIALTSURYASOCIADOSS.A.DEC.V.
OscarCortésLecuona
DIRECTORGRUPOEDITORIAL
MiguelAlejandroDíazBaltazar
DIRECTORGENERAL
AarónAndradeRamírez
COORDINADOREDITORIAL
COLABORADORES
JoséLuisTorres //Capacitaciónparaeltrabajo
CristóbalRuiz //Cineyopinión
SalvadorSuárez //Comercioexterior
Dr.NelsonDueñas //Cuidadodelasalud
ClaudiaJiménez //Cultura
FátimaGaray //DesdeEuropa
CarmenLorenzo //Herramientastecnológicas
CarmiñaMejía //Imagenempresarial
MarcoCorona //Industriadelaconstrucción
AlejandraLópez //Innovaciónenginecología
MaríaElenaMurguía //Planeacióncontable
GilbertoMartínezPedraza
DISEÑOEDITORIAL
JuanPabloCortes
FOTOGRAFÍADEPORTADAYVIDEO
EdgarValdivia
MAQUILLAJEYPEINADO
REDESSOCIALES
GabrielCortésRomo
FACEBOOK,PÁGINAWEBYYOUTUBE
VENTASCOLIMA
MiguelDíaz 3121071726
miguel@decisiondeempresario.com
WilmerCamberos
3121650016
wilmer@decisiondeempresario.com
VENTASMANZANILLO
MyrnaMuñoz
3121007090
myrna@decisiondeempresario.com
VENTASNAYARIT
DanielaGuzmán
3111384565
daniela@decisiondeempresario.com
DISTRIBUCIÓN.Demaneragratuitapormensajeríaentodoelestadode
Colima.Sidesearecibirlarevistaensudomicilio,favordesuscribirse enlapáginawebwww.decisiondeempresario.com
Año15,Número177,Fechadepublicación01demayode2023. RevistamensualeditadaypublicadaporEditorialTsuryAsociadosS.A. deC.V.NúmerodecertificadodereservaotorgadoporINDAUTOR042020-121609031800-01.NúmerodecertificadodelicituddeTituloy contenido00-014-A-1436-20condomicilioenAmatista#101Col. ResidencialEsmeraldaNorteC.P.28017Colima,Col.,México. DecisióndeEmpresarioinvestigasobrelaseriedaddesusanunciantes,pero noseresponsabilizaconlasofertasrelacionadasconlosmismos.Prohibida sureproducciónparcialototal.ImpresaenMéxico,printedinMexicoporTsur yAsociadosS.A.deC.V.EjidoTomatlán53Col.SanFranciscoCulhuacán, 04420Coyoacán,CDMX.todoslosderechosreservados,allrightsreserved copyrigth2023.
¿Teimaginasunaplataformacon desafíoslanzadosporelgo‐biernooempresasaotrasorga‐nizacionesopersonas?¿Sientesquetucomu‐nidadtienemuchosdesafíosquecontutalen‐to,capacidadyvoluntadpodríassolucionar?
¿Existenproblemasentuempresaquedebe‐ríancompartirseconlasociedadpararecibir propuestasinnovadoras?¿Tegustaríaobtener unpremioeconómicoyapoyoparallevarala prácticatuestrategia?Todoestoyasucedeen Singapuryseleconocecomo“OpenInno‐vationNetwork”oReddeInnovaciónAbierta.
EstareddesarrolladaporEnterpriseSingapore ylaAutoridadparaelDesarrollodelosMedios deComunicaciónInfocom(IMDA,porsussi‐glaseninglés)permitevinculardesafíos, recursosysociosdeinnovaciónabierta.Yaes posibleconectarseconorganismospúblicos, empresas,investigadoresypersonasanivel nacionaleinternacionalparadesarrollarsolu‐cionesaretosqueenfrentalasociedad; compartiendotalento,ideas,recursos,solu‐cionesyriesgosenunmenortiempo.
¿Tienesundesafíoquedeseascompartiro unasoluciónaunproblemapropuesto?Regís‐trateenlaplataforma:www.openinnovation‐network.gov.sgycomienzaainteractuarcon otrosparticipantes.Además,tieneslaoportu‐nidaddeobtenerdistintosbeneficios,inclu‐yendopremioseconómicos,quetepermitirán serunagentedecambioentusociedadyace‐lerarlassoluciones.
¿Cuálessonalgunosdelosdesafíosvigentes?
Existelaconvocatoriaabierta“HealthcareIn‐noMatch2023"anivelglobalparabuscar empresas,incluyendoPyMEs,consoluciones innovadorasenatenciónpreventivaparalo‐grarunasociedadmássaludable.Estereto fuelanzadoporelCentroparalaInnovaciónen elCuidadodelaSalud(CHI,porsussiglasen inglés).También,elDistritodeJurongLakeen
Singapurbuscapropuestasalineadasasuvi‐sióndeconvertirseenunterritoriosostenible yenunlaboratoriovivienteparalainnovación ecológica,eincentivalaparticipación ofreciendounpremioeconómicoylaoportuni‐daddellevarloalapráctica.
Perotambiénexistendesafíoslanzadospor empresasmuyimportantesenAsiayentodo elmundo.Porejemplo,elgrupoinmobiliario CapitaLandbuscasolucionesparahacerque losedificiosseanmásresistentesalclimay eficientesenelusoderecursos.Hasta10in‐novadoresdestacadostendránlaoportunidad deimplementarsuspropuestasenpropie‐dadesendistintospaíses.
Elpragmatismo,liderazgo,visión,profesio‐nalismo,honestidadyvoluntadquecaracteri‐zaalosfuncionariosdelGobiernodeSingapur hanpermitidounrápidocrecimientoydesarro‐lloeconómicoensuterritorio.Enesta plataformadelaReddeInnovaciónAbiertase lee“Hacercrecersunegocioesnuestronego‐cio”.Porlotanto,siempreseofreceapoyoy recursosrelevantesquefavorecenelfortaleci‐mientodelasempresas,incluyendolasPy‐MEs,yelbienestardelagente.
Desdeel2006,laprimeravezqueviajéaAsia, yhastaeldíadehoy,hemencionadoencien‐tosdeartículoslaimportanciadeestudiar buenasprácticasalrededordelmundo,adap‐tarlaseimplementarlasenMéxicoparabene‐
ficiodetodos.Siempreheinsistidoenimpul‐sarlacoordinaciónyvinculaciónentrelosgo‐biernosatodossusniveles,cámarasempre‐sariales,empresas,institucionesacadémicas, centrosdeinvestigaciónysociedad.Sireal‐mentequeremostransformarlarealidadde nuestropaís,requerimosdelaunidad,partici‐paciónytrabajodelamayoríadelagente.
Lainnovaciónabiertanospermitiráencontrar solucionesaretosactualesyfuturos,y compartirrecursosquefacilitensupuestaen marchaenuntiempomenor.Altransitarpor nuestrasciudades,altrabajarenlasempresas oinstitucionesacadémicas,alescucharlas noticiasoalconversar,siempreencontrare‐mosretosyvendránanuestramenteunaserie depropuestas.Necesitamosunaplataforma local,estatalonacional,similaralaReddeIn‐novaciónAbiertaenSingapur,quenospermita unirnosycoordinaresfuerzos.
Elmundoviveunatransformaciónquetrae consigoenormesoportunidadesydesafíos. Dealgodebemosestarseguros,enestepro‐cesoexistenpersonas,empresasoinstitucio‐nesutilizandolatecnologíaparafinesnega‐tivos.Nosotros,lagranmayoríadelagente, debemosuniresfuerzosparautilizarlaconfi‐nespositivosyconelúnicopropósitodemejo‐rarnuestroentorno.Debemosconvertirnosen agentesdecambio.
Yaesposibleconectarseconorganismospúblicos,empresas, investigadoresypersonasanivelnacionaleinternacionalpara desarrollarsolucionesaretosqueenfrentalasociedad.
Elsíndromedetúneldelcarposees‐timaqueocurreenel3.8%delapo‐blacióngeneral.Esmáscomúnenmu‐jeresqueenhombres,entrelos40y60años deedadyenocupacionesdondeelmovimien‐todelamuñecaesconstante;el60%delos casosesbilateral(ambasmanos).Eldiagnós‐ticoseestablecepormediodelexamenclíni‐coyestudiosdeconducciónnerviosa,unode cadacincopersonasquepresentan:dolor,en‐tumecimientoysensacióndehormigueoen lasmanospodríantener“SíndromedeTúnel deCarpo”.
Elsíndromedeltúneldelcarpoesunaneuro‐patíadelaextremidadsuperiorproducidapor compresióndelnerviomedianoaniveldela muñeca,caracterizadoporincrementodela presióndentrodeltúneldelcarpoydisminu‐cióndelafunciónaesenivel.
Elnerviomedianoeselnervioprincipaldela manoysusramasentranatravésdeun conductoestrecho(túneldelcarpo),formado porloshuesosdelamuñeca(huesos carpianos)yporlamembranafuerteque mantienejuntosaloshuesos(ligamento transversodelcarpo).Elnerviomedianopro‐porcionasensibilidadalprimero,segundo, terceroymitaddelcuartodedo.Dadoqueéste conductoesrígido,alcomprimirelnervio,se puedeproducirdolor,entumecimientodelos dedos,yalapostre,debilidadintensadela mano.Eldolorfinalmentepuedeextenderse haciaelbrazo,hombroycuello.
Entrelosfactoresderiesgodestacanaque‐llasenfermedadesocondicionesquedismi‐nuyeneltamañodeltúneltalescomo:Artritis infecciosa,artritisreumatoide,diabetes,obe‐sidad,embarazo,usodeanticonceptivos, secuelasdefracturademuñeca,algunas ocupacionesyoficios.
Lasocupacionesenlasquemássepresenta estaenfermedadson:Obrerosdemáquinas neumáticas,amasdecasa,secretarias,estilis‐tas,médicos,cortadoresdecarne,cerrajeros, dentistas,carpinteros,etc…
Paraelcorrectodiagnósticoyclasificaciónde laenfermedadesdevitalimportancialavalo‐raciónatravésdelestudiodeconducción nerviosayelectromiografíadelamanoafec‐tada.Dichoestudiolollevaráacaboelmédico especialistaenrehabilitación.
DR.NELSONAARÓNDUEÑASJIMÉNEZ
• MédicoespecialistaenMedicinaFísicayRehabilitación.
• FacultaddeMedicina,UniversidaddeColima, 2003-2009,Ced.Prof.6369362
• MedicinaFísicayRehabilitación,CentroMédico NacionaldeOccidenteIMSS,2010-2013,Universidad deGuadalajara.Ced.Esp.9486288
El24demarzode2018,Netflixyla Fórmula1anunciaronsucolaboración, enunaseriedocumentalenfocadaen mostrareldramadetrásdelascarreras,delos corredoresydelosprotagonistas,paraunode losdeportesmáscostososdelplaneta.Eraun movimientoarriesgado,despuésdetodo, ademásdelospreciosqueconllevaparticipar enelmáximomedioautomotriz,tambiénse sumabanloscostosdeproduccióndeundo‐cumental,quebuscabaatraernuevasau‐diencias,particularmentenorteamericanas, caracterizadasporpreferirNascar,Rallyoinc‐lusoMotoGPporencimadelaF1,relacionada másalgustodelpúblicoeuropeo.
Eseriesgofuerápidamenterecompensado, cuandoDrivetoSurviveseconvirtióenunade lasseriesmásvistasenEstadosUnidosyun documentalqueprontoalcanzaríaelmundo entero,temporadatrastemporada,atrayendo
fanáticosdetodoslosámbitosaestedeporte. Seguramentetehasdadocuenta,laF1estáen bocadetodosdesdehaceunpardeaños,y másalládelaparticipacióndeChecoPérez (quellevacorriendoenFórmuladesdemucho antes)oelcrecimientodelRedBullRacing Team,esteexperimentodocumentalconsi‐guióhacerinteresanteunmedioquemuchos tomabancomoinaccesible.
¿Quénosdemuestraesto?Másquenada,el valordelainversiónbienaplicadaydelcine, nosolocomomedioartístico,sinocomo mercadotecniainteligente.Muchasveces tememosinvertirenpublicidad,porlosfrutos, enocasionesinvisiblesparanuestrasempre‐sas.También,muchasvecesmenosprecia‐moselvalordelaviralidadenredes,devideos bienproducidos,oinclusivedeinversiones cuantiosasencomerciales,enlacreaciónde unaidentidadaudiovisualparanuestramarca.
LaFórmula1habíabatalladoporcasiunadé‐cadaconlasaudiencias,perdiendoespec‐tadoresconstantemente.Desdeeléxitoobte‐nidoporDrivetoSurvive,esapreocupación terminó,algradodeconfirmardostempo‐radasmásporadelantado,debidoalacon‐fianzaquetienenenelproyecto.
Esunaenseñanzadelvalormercadológico.Se tratadeunlargoproceso,muchasvecesde añosconstruyendopersonajes,narrativasy marcas,perolarecompensaesgrande,tan grandequeunaempresacontantahistoriay valorenelmercado,tomaelriesgoparacon‐seguirla.Creo,comoempresarios,emprende‐doresoinclusocomointegrantesenelmundo digital,podemosaprendermuchodeestoy construirloquenosotrosqueremosmostraral público,atravésdelcine.
Sinmásqueagregar,soyCristóbalRuizGay‐tán…Disfrutenlafunción.
Alolargodelahistoriadela humanidadelartehaestado presentecomounamanerade expresión,documentandolosdiversos sucesosdelahistoriacomoguerras, pandemias,revoluciones,etc.Elmismoarte hasidoelprincipalpilarparaconservarla cordura,talfueelcasodeOliverMessiaenque alserprisionerodeguerraenlaSegunda GuerraMundiallogróconvencerasus captoresdetenerlaoportunidaddecomponer yasíllegóeldíaquejuntoaotrosmúsicos prisionerospresentóalossoldadosydemás cautivossuobraCuartetoparaelfindelos tiempos,lacualestabaprofundamente influenciadaporelentornoquelorodeaba.
Eleventodepandemiaqueacabamosdevi‐virenelmundoalosartistasnosdiola oportunidaddeplasmarnuestrosentir,hubo quienpinta,escribe,componeycreamedios demanifestacióndondequedaplasmadala situaciónemocionalyvivencialdelarealidad mundialqueatravesamos,utilizamosla
desgraciaparalasublimecreacióndelarte, ¿Cuántasobrasnohanestadoinspiradasen unatragedia?EdvardMunchenfermódegri‐peespañolayasuvezloplasmóenvariasde susobrasentreellasElgrito,Autorretrato despuésdelagripe,Lamadremuerta,pores‐tasobrasesconsideradounrepresentante delexpresionismopueslogratransmitirla angustiayconfusión.
Elarteenlaguerrahasidonumenyrefugio dealgunosartistasdondenumerosashisto‐riashanquedadoplasmadasencadapince‐ladaonotamusical;ElGuernicaunaobracé‐lebreestilocubistaysurrealistanosretratael horrordelaguerraalmostrarnosunacasaen llamasdondehaypersonasquequedaron atrapadasduranteunbombardeoenla GuerraCivilEspañola.
Otrahistoriadeamoralarteysupermanencia antelaadversidadesladelpianista WladyslawSzpilman,delcualeldirectorRo‐mánPolankirealizóunapelículabasadaensu
vida,Szpilman,tocabaenlaestaciónderadio polaca,paramantenerelánimodelosescu‐chas,estuvotocandohastaquefuetomada Varsoviaporlossoldadosalemanes,además sobrevivióaunaepidemiadetifusenelgueto enelqueseencontraba,finalmentemientras buscabaalimentodesesperadamente,se tropezóconunsoldadoalemán,WilmHo‐senfeld,quealpreguntarlesuprofesiónlepi‐dióqueinterpretaraunaobraenunviejopiano, elpianistatocólaBalada1ensolmenorOp. 23deChopin,esteposteriormenteseofreció aocultarloyalimentarlo;cuandofinalizóla guerraSzpilmanrecuperósutrabajoenla radioylaprimerapiezaqueinterpretófue aquellabaladadeChopinconlaqueconocióa Hosenfeld,quiénlesalvólavida.
Elartenossalva,nosdesahoga,nosmarca, mientrasrealizamosnuestrasactividadesco‐tidianashayquienplasmanuestrarealidad siendotestigodecadapasoquehemosatra‐vesadocomohumanidad.
Losbeneficiosdelrejuvenecimientovaginal(íntimo) paratusaludnosonsoloestéticos.
Alolargodelavidaelcuerpodela mujercambia,ytambiénsuszonas íntimas.Elcuerpodelamujerestá sometidoaembarazos,partos,cambios hormonales,menopausia…yelpropioenve‐jecimientonatural.Todoellohacequehaya cambiosinternosyexternoseneláreavagi‐nalqueafectanalaspectoysensacionesque lamujerexperimenta.
Aunquenohayunlímitedeedadparaque algunostrastornosaparezcan,muchasmu‐jeressufrenobscurecimientodelapiel,pérdi‐dadetonoenlazonavaginal,incontinencia urinaria,sequedadvaginalomolestiasdurante lasrelacionessexuales,molestiasalllevar ropaajustadaoalrealizaralgúndeporte,pico‐res,pérdidadesensibilidadeinclusoprolap‐sos.Todoellopuedetratarsecontécnicasde rejuvenecimientoíntimo.
Elrejuvenecimientoíntimopermitemejorar laaparienciaylassensacionesdelazona íntimadenosotraslasmujeres.Dichos tratamientostedevolveránlaconfianzayte permitiránvolverallevarunavidasexual másplacentera.
ElláserdeC02paraelrejuvenecimientovagi‐nal. Enestetratamientomediantemuypeque‐ñosimpactosdeenergíatérmicasefavorece laproduccióndecolágenodealtacalidad,au‐mentandoelgrosordelamucosaylaelastici‐dadehidratacióndeltejido.Permiteademás tratarlamucosavaginalysusparedesmejo‐randolalaxituddelasmismas,lasequedad vaginal,laincontinenciaurinarialeve,etc.
Blanqueamientoíntimo. Atravésdeunpeelingo seaunprocesodeexfoliacióndelapiel,seelimi‐nanlascélulasmuertasdelascapassuperficia‐lesdelapiel,queenmuchoscasoscontienen melaninayprovocaqueseveamásoscura.
HiFUvaginal. sebasaenelusoderadio‐frecuenciasconducidasporla TransferenciaEléctricaCapacitivayResis‐tivaquetrataelllamado“SíndromedeRela‐jaciónVaginal”.GraciasalatecnologíaHigh IntensityFocusedUltrasoundoHIFUsees‐
timulaelengrosamientodelasparedesde lacavidadvaginalsintenerquerecurrira procedimientoscomplejos.
HilostensoresdePDO. Elrejuvenecimiento vulvarconhilostensoresesunaalternativa paraatendercasosdeflacidezoaparente faltaderellenoenloslabiosmayoresdelamu‐jer,acausadepérdidasbruscasdepesoola disminuciónenlaproduccióndecolágenoy estrógenos,originadaporelpasodeltiempo. ÁcidoHialurónico. trasunaampliaexperiencia enmedicinaestética,suusohallegadoalagi‐necología,ynosoloparausoestéticocomo cuandoseusaparahidratarodarvolumena loslabiosmayores(Voluminización,hipoplasia oatrofiadelabiosmayores,reduccióncanal vaginal),sinotambiénpararegenerarymejo‐rarlafuncionalidadgenitalfemeninaenmu‐choscasosdepatologíavaginalcomoesel casodelaatrofiaysequedadvaginalyvulvar causadosporlamenopausia,lasInfecciones genitourinariasrecidivantes,etc.
Todaslasmujerespuedensometersea cualquieradenuestrostratamientos,noexis‐tencontraindicaciones.
EnGINELAPutilizamosdiferentestécnicasparamejorarelaspecto,lafunciónylas sensacionesdeestazona.
Lascompetenciaslaboralessedescribencomo: «Lacapacidad productivadeunindividuoquesedefineymideentérminosde desempeñoenundeterminadocontextolaboral,yreflejalos conocimientos,habilidades,destrezasyactitudesnecesariasparalarealización deuntrabajoefectivoydecalidad».
Eldesarrolloeducativo,profesionalodeoficiodelpersonalentodocentro laboralnodeberíaquedarlimitadoacumplirunlistadodecursosysusexte‐nuanteshorasdeaula.Sibien,estasaccionesrepresentanunapartedelomíni‐moobligatoriolegalmentehablando,resultarámáseficazcambiarelenfoquey formarconbaseencompetencias.
Modificarestaperspectiva,consisteenmigrar«PlanesdeCapacitaciónyAdies‐tramiento»a«ProgramasdeFormacióndeCompetencias».Estosúltimosinclu‐yendoacciones,eventos,proyectosodinámicasdeenseñanza-aprendizajepara cadaunodelosaspectos,debidamentedetectadoseidentificados,queconfor‐manlascompetenciasdelcolaborador.
Elprogramasepuedeintegrarconformaciónqueagreguevaloralconocimiento teórico,accionesdemotivaciónporelauto-aprendizaje,prácticasoejercicios,en condicionescontroladasypromoverlaparticipaciónenforos,conferencias,we‐binar,atravésdelosdiversoscanalesomediosquepuedenservivencialesy tecnológicos.Adoptarsesionesdetransferenciadeexperienciasinternasyex‐ternasconcompañerosdelsector,lograndoconcientizarenlarelevanciae impactodeloquerealizaráalaplicarlaeducaciónrecibida.
Algunosdelosbeneficiosalimplementarunenfoqueendesarrollode competenciasconsistenenpermitiroptimizarlacapacidadproductiva, efectivaydecalidaddelcolaborador,prevenirriesgosdetrabajo,conoci‐mientoclaroydominioparalaadecuadarealizacióndesusfunciones,mo‐tivaciónaltrabajocolaborativoyunampliosentidodepertenenciaylealtad alpropósitodelaorganización.
*Acuerdoporelquesedanaconocerloscriteriosadministrativos,requisitosy formatospararealizarlostrámitesysolicitarlosserviciosenmateriadecapaci‐tación,adiestramientoyproductividaddelostrabajadores.Documentovigente publicadoenelDiarioOficialdelaFederación.
Somosunacomunidadglobal,fundadaporelDr.IvanMisneren1985,quepro‐muevelacooperaciónentreempresariosparagenerarclientesnuevosylograr susmetas,atravésdeunsistemaestructuradoydeapoyoparadaryrecibirre‐ferenciasdecalidad.Cadasemanaenmásde77paísesdetodoelmundo,losmiembros deloscapítulossereúnenparapresentarsunegocioyconectarconotrosdueñosde negocioscalificados,construyendoasírelacionesduraderasydeconfianza.
ElconceptocentraldeBNIsebasaenlafilosofía"GiversGain"®(Ganar-Dando),quesig‐nificaquealayudaraotrosateneréxito,tútambiéntendráséxito.LosmiembrosdeBNI sereúnenperiódicamenteengruposlocalesllamados"capítulos",dondesepromueve elcompañerismo,laconfianzaylacolaboraciónentrelosmiembros.
ElcapítulodeBNIenColimasefundóenelaño2013;actualmentesomos37netwo‐rkersyestemesdemayocumplimosnuestrodécimoaniversario «cambiandola formaenlaqueelmundohacenegocios».
¿QUÉBENEFICIOSOBTENGOSI MEUNOAESTACOMUNIDAD?
• Aumentarásustancialmentetunego‐cioatravésdereferencias.
• Tendrásaccesoatodoslospro‐gramasdecapacitaciónexclusivospara mejorartushabilidadescomercialesy gerenciales.
• Visibilidaddetumarca:Tupartici‐paciónhastaen52reunionesdenetwo‐rkingporañoaumentarátuexposicióna muchosotrosprofesionalesdenego‐ciosentucomunidad.
• Recuperacióndeinversiónacortoplazo.
¿QUÉDEBOESPERARALASISTIR AUNAREUNIÓNDEBNI?
• Debesprepararte:Alvisitaruncapítu‐lotendráslaoportunidaddehablarso‐bretunegocio,quéserviciosofrecesy cuálestuproductoestrella.
• Comoinvitado,puedesasistirauna reunióndegrupodosveces.Lasreunio‐nesseejecutandeacuerdoconuna agendaestructurada.Duranalrededor de90minutoscontiempoparanetwo‐rkingantesydespuésdecadareunión.
• Exclusividad:Solounapersonade cadaespecialidadprofesionalpuede unirseaungrupodeBNI,loqueelimina laposibilidaddecompetenciaentre nuestrosMiembros.
bniempresariosexitosos@gmail.com BniColima www.bnicolima.com
¡LaorganizacióndeNetworkingestratégico másgrandedelmundopresente enlaCiudaddeColima!
Laprevenciónlaboralempresarialesla accióninternadelasempresas tendienteacubrirlasnecesidadesdo‐cumentaleslaborales,quebuscageneraruna adecuadaoperacióncumpliendodeeste modoconlasobligacionesobrero-patronales.
EnelCorporativoS-AAbogadossabemosque laprevencióneslaherramientamáseficaz paralasempresas,puesestamosconvenci‐dosqueesunpasomuyimportantequese debedarparaalcanzarsuconsolidación, brindándolelonecesarioparahacerquelos trabajadoressesientanpartedesuempresa, lograndobeneficiosinmediatoscomoloesla fugadetalentos,loquegeneramayorproduc‐tividad,yaquesedisminuyelacurvade aprendizajedelostrabajadoresdenuevoing‐reso,lograndopermanecereneltiempo.
¿QUÉBENEFICIOSPUEDEADQUIRIR TUEMPRESACONLAPREVENCIÓN
LABORALEMPRESARIAL?
• Prevencióndeconflictosentreelpatrónytra‐bajadoratravésdeunadocumentaciónefectiva.
• Actualizaciónyregularizaciónenleyes laborales.
• Capacitaciónyrespaldoadecuadoenelma‐nejodeincidenciasinternascontrabajadores.
• Evitarsancionesporincumplimientoa normaslaboralesanteinspeccionesdelaSe‐cretaríadelTrabajoyPrevisiónSocial.
• Generacióndeestrategiasparadarpor terminadaunarelaciónlaboral.
• RepresentaciónanteelCentrode ConciliaciónyelJuzgadoLaboral.
EnCorporativoS-AAbogados,estamossegu‐rosqueparalograrsuperartodaslasmetas empresariales,resultapertinenteconocer cuálessonlasmejoresprácticaspatronales quevayandelamanoconsusobjetivosyme‐tasdecrecimientofinanciero.
Enlaactualidadelcumplimientodelas normaslaboralesesparatodaslasempre‐sas,siendoestounproblemarealparalos patrones,pueslasfinanzasdelacompañía lleganaresultarinsuficientesparasa‐
tisfacerlasobligacionesqueimponelaLey FederaldelTrabajo.
Dicholoanterior,lafirmacuentaconunequi‐podeabogadosaltamentecapacitadosycon experienciaentemasdeprevenciónylitigio laboralempresarial,asícomoendiversas ramasdelderecho,talescomoelderechope‐nal,familiar,civilymercantil,brindándolealas empresasunsoporteintegralparaentender susnecesidadesylograrsusobjetivos.
Colima Av.delLago#873.RealHacienda.VilladeÁlvarez,Col. Manzanillo Blvd.MigueldelaMadridHurtado#1185,local104 PlazaGalería,FraccElTajo,Manzanillo,Col. www.saabogados.com.mx contacto@saabogados.com.mx 3123034000
Especializadaenlaplanificación,dise‐ñoyconstruccióndeproyectosde altacalidadendiversasáreas,inclu‐yendolaedificaciónresidencial,comerciale industrial.LaempresaConstrumaníacuenta conunaampliaexperienciaenlaconstruc‐cióndegrandesproyectos,conunequipo altamentecapacitadoparallevaracabola construccióndemaneraeficienteyconaltos estándaresdecalidad.
Laempresafuefundadaporungrupodeex‐pertosenlaindustriadelaconstrucción,y desdeentoncessehaposicionadocomouna delasorganizacionesmásconfiablesyrespe‐tadasenelmercado.
Laempresaofreceunserviciopersona‐lizado,adaptadoalasnecesidadesde
cadaclienteybuscasuperarlasexpecta‐tivasencadaproyectoquerealiza. Además,Construmaníaseenfocaenlain‐novaciónyenestaralavanguardiadelas últimastecnologíasytendenciasenla industriadelaconstrucción.
Cuentaconunequipoaltamentecapacitadoy experimentadoentodaslasetapasdelproce‐sodeconstrucción,desdelaplanificacióny diseñohastalaejecuciónyentregadelpro‐yecto.Además,Construmaníacuentacon unaampliareddeproveedoresysubcontra‐tistas,loquelepermiteofrecerprecios competitivosyunaexcelenterelacióncali‐dad-precioensusproyectos.
Construmaníahallevadoacabounaamplia variedaddeproyectosendiferentesáreasdel estado,incluyendolaconstrucciónde edificiosresidenciales,áreascomerciales,ins‐talacionesdeportivasyedificiosindustriales.
Siestásbuscandounaempresaconstructora confiableydealtacalidad,Construmaníaes unaexcelenteopción.
TercerAnilloPeriférico#164
Local5PlazaJiapsi.Fracc.ResidencialEsmeraldaNte. 3123966871/3121483855
ConstrumaníaArquitecturayValuación
marco_aurelioc@hotmail.com
CTIMicrosipesunaempresaespecia‐lizadaenelmercadodesoluciones tecnológicasysistemasadministra‐tivos,concentradaenautomatizarymejorarel funcionamientodelosnegocios.
LadirectoradeCTIMicrosip,MaríadelCar‐menLorenzoCabrera,cuentaconmásde20 añosdeexperienciaenelcampodelaingenie‐ríaensistemascomputacionales.Graciasasu liderazgoyexperiencia,halogradoposicionar aCTIMicrosipcomounadelasempresas másimportantesensuramo.
LasoluciónestrelladeCTIMicrosipeselsis‐temaadministrativoMicrosip,elcualseha convertidoenunaherramientafundamental paralasempresasquebuscanmejorarsupro‐ductividad,reducirsuscostosyoptimizarsus procesos.Estesistemacuentacondiferentes módulosqueabarcandesdelacontabilidady lafacturación,hastalagestióndeinventarios ylaadministraciónderecursoshumanos.
UnodelosaspectosmásdestacadosdeMi‐crosipessucapacidadparaadaptarsealas
necesidadesespecíficasdecadaempresa. Estoselogragraciasalaposibilidaddeperso‐nalizarelsistemasegúnlascaracterísticasy requisitosdecadanegocio.
Además,Microsipcuentaconunainterfaz amigableeintuitiva,loquefacilitasuusoy reducelacurvadeaprendizajeparalosusua‐rios.Deestaforma,selograunarápidaadop‐cióndelsistemaysemaximizanlosbene‐ficiosparalaempresa.
OtrodelospuntosfuertesdeCTIMicrosipes suenfoqueenlacapacitaciónyelsoporteal cliente.Laempresacuentaconunequipode expertosenelsistemaquebrindaasesoríay soportetécnicoalosusuarios,loquegaranti‐zaunserviciodecalidadyunaexperienciade usuariosatisfactoria.
CTIMicrosipesunaempresaquebrinda solucionestecnológicasysistemasadmi‐nistrativos,unaexcelenteopciónpara cualquiernegocioquebusquecreceryme‐jorarsurendimiento.
WorlDigitalesunaempresacolimen‐seespecializadaensolucionesvi‐sualesparanegociosdetodotipo. Sufundador,elIng.HugoGarcíaRamírez,ha trabajadoenlaindustriadelapublicidadyel diseñográficopormásde20años,yhaacu‐muladounaampliaexperienciaeneldiseñoy creacióndelogotipos,anunciosypromocio‐nesimpresasydigitalesdealtacalidad.
Unodelosproductosmásdestacadosde WorlDigitalsonlasletrasylogotipos3D,rea‐lizadosendiferentestamañosymaterialesy quesonidealesparadarunaimagendecali‐dadyprofesionalismoacualquiernegocio.
Otroproductopopulardelaempresasonlos anunciosluminosos,unaexcelentemanerade llamarlaatencióndelosclientespotenciales encualquiermomentodeldíaolanoche.Es‐tosanunciossepuedenpersonalizarendi‐ferentesformasytamaños,ypuedenincluirlu‐cesLEDparaunefectomásllamativo.
Laimpresióndelonayviniloesotradelas especialidadesdeWorlDigital,yseutilizahabi‐
tualmenteparacrearcarteles,bannersyotros materialespromocionales.Estosproductos puedenserimpresosconaltaresolucióny calidad,ypuedenserutilizadostantoen interiorescomoenexteriores.
Lostoldoscomercialesyestructuralesson otroproductoimportante,ysonunaexcelente maneradeprotegeralosclientesyempleados delsolylalluviamientrasestánenelnegocio. Estostoldospuedenserpersonalizadospara adaptarseacualquiertamañooformadel edificio,ysepuedenimprimirconlogotiposy otrosdiseñospersonalizados.
WorlDigitaltienetodolonecesarioparaayudar alosnegociosadestacarseyatraeranuevos clientes.ConlaexperienciaylapasióndelIng. HugoGarcíaRamírez,WorlDigitalesunaexce‐lenteopciónparacualquierempresaque busquemejorarsuimagenyaumentarsupre‐senciaenelmercado.
Mascosesunaempresadelimpieza ydesinfecciónubicadaenColima, queofreceunagamadeproductos naturales,notóxicos,hipoalergénicos,segu‐rosparaelusuarioycuidadososdelmedio ambiente.Desdesufundaciónenelaño2020, Mascoshaestadocomprometidoconlami‐sióndedisminuirlapropagacióndelvirusSars CoV-2pormediodelatermonebulización,utili‐zandosuprimerproductofabricadoporGrupo Verllam,elMascos208creadoconsales cuaternariasdeamoniodeúltimageneración.
ductosindustrialesdealtatecnologíapara unalimpiezaintegralydesalud.
DeacuerdoconUrielVegaSandoval,Gerente deMascos,suobjetivoespermanecerala vanguardiaeneldesarrolloyfabricaciónpro‐
LaempresaMascosofreceproductosespecí‐ficosparacadasegmentoempresarial.Por ejemplo,pararestaurantesyprocesadorasde alimentos,ofreceproductosdegradoalimen‐ticio,ecológicosehipoalergénicos.Parahote‐lesyescuelas,ofreceproductosmultiusos,de‐sinfectantes,antiviralesyantibacteriales.Para gimnasios,ofreceproductosdelimpiezaque nodañanlosmaterialesenlosequipos,ypara hospitalesyveterinarias,ofreceproductos especialesparalavadorasindustriales,de‐sinfectantedequirófanos,jabóndegrado prequirúrgico,entreotros.
Mascossevisualizacomouna empresarentable,honesta, sustentable,comprometiday valiente,queproponesolucionesvisionariasyejemplosa lascausasprofundasdelos problemasglobalesconrecursosrenovables,sustanciasno contaminantesytecnología queaumentanlaproductividaddelasempresas.
3122680123
comercial@mascos.com.mx
www.mascos.com.mx
@Grupoverllamcolima
GrupoVerllamMx
Mascosestáncertificadoscon pruebasenlaboratoriosnacionaleseinternacionales,así comofichastécnicasdeusoy hojasdeseguridad,haciéndolosmásconfiables.
«Tenemoscomomisiónsatisfacerlasnecesidadesde nuestrosclientes,identificandosolucionesparaunalimpiezamásrápida,eficiente,segurayconinversionesfinales másbajas».
LaUniversidaddelValledeAtemajac (UNIVA)esunainstitucióneducativa con60añosdetrayectoria,quetiene comomisión,contribuiralaformacióndelí‐deresconespíritudeservicio,queseanagen‐tesdecambioyorientenunavisiónintegraldel desarrollohaciaelbienestarcolectivo,laequi‐dad,lajusticiasocialyelcuidadoambiental.
Conscientedesutiempoydelretofuturo,la UNIVAsehaocupadoendarrespuestaalos problemasyexigenciasdecadaépoca,asu‐miendoyrefrendandosucompromisoconla educaciónylasociedad.Elmodeloeducativo UNIVAesunesquemaflexibleeinnovador, centradoenlaexcelenciaacadémica,lacali‐dadinstitucionalylaformaciónintegraldesus estudiantes.Actualmente,elSistemaUNIVA estáenfocadoendesarrollarnuevasymejores formasdeenseñanzaquegenerenunaprendi‐zajemásindependienteyautogestivo,quelo mantenganalavanguardiaeducativayhagan usodelosmediosdigitales,lasredesylasmo‐dalidadesonline.
ParalaUNIVA,lasfuncionessustantivasde docencia,investigación,vinculaciónyexten‐siónsonlosprincipiosrectoresdesufilosofía. Hoyporhoy,laUNIVAparticipaactivamente con29organismosempresarialesy37organi‐zacionesdelasociedadcivil,mientrasque,a nivelinternacional,acumulauntotalde106 conveniosdecolaboraciónacadémicaen20 paísesdelos5continentes,asícomo15mil cuposparacursarasignaturasenmodalidad virtualconuniversidadesextranjeras.
Enesteúltimorubroypor séptimoañoconsecutivo,la universidadhaimpulsadoel VeranoGlobalUNIVA,unprogramaquetienecomoobjetivoprincipalfortalecersu modelodeinternacionalización,asícomoelproceso formativodelosestudiantes,
alentandodiversasiniciativasdecolaboracióninternacionalenmateriadeinvestigación,innovacióncurricularyexperienciadocente.
Enlaedición2023delVeranoGlobalUNIVA,el campusColimacontaráconlaparticipación presencialyenlíneadediversosprofesores extranjeros,quienesofreceráncursoscon valorcurricularparalacomunidaduniversita‐riaeimpartirántalleresyconferenciasparael públicoexternoalainstitución.
EnUNIVAcampusColima,algunosdelospro‐gramasacadémicosdeEducaciónSuperior queseránbeneficiadosconestaséptima edicióndelVeranoGlobal,son:Nutrición, Psicología,Derecho;ComercioyNegocios Internacionales;AdministracióneInnovación deNegocios;Contaduría,fiscalyfinanzas,así comoMercadotecniaydiseñodemarca.
EldespachoSerrano&CovarrubiasAbo‐gadostieneunenfoquemuyclaroen consolidarsecomolíderesenasesoría ydefensalegal,yestosereflejaenlos serviciosqueofrecenasusclientes.Lafirma estáencabezadapordosabogadoscon ampliaexperiencia,elMaestroenDerechoPe‐nalGerardoEnocSerranoMorenoyla LicenciadaenDerechoAlejandraCovarrubias Ramos,Co-titularesyfundadores.Sutrayecto‐riaenelsectorpúblicoyprivado,lespermite brindarunaasesoríaydefensalegalintegral endiferentesmaterias,especializadosyenfo‐cadosenelsectorempresarial.
Entrelosserviciosqueofrecen,sedestacanla asesoríaylitigioenmateriasMercantil, Familiar,Civil,Penal,Amparo,Registrode marcasyasesoríaespecializada,gestiónyre‐presentaciónlegalparaempresasdeSeguri‐dadPrivada.Estopermitealosclientescontar conunapropuestaintegraldesoluciónasus problemaslegales,locualmuchasveces requierelaintervencióndeungrupo multidisciplinario.
Lafirmaseenfocaenbrindarasusclientes unaatenciónhonesta,profesionalyconfi‐dencial,yparaellocuentanconunasólida formaciónacadémicayunaconstantecapaci‐taciónyactualización.Además,mantienen alianzasestratégicasconprofesionalesdedi‐versasáreasatravésdelaplataformadeBNI, loquelespermitetenerunamayorproyección desutrabajoyeficaciaenlasolucióndepro‐blemasdesusclientes.
Encuantoalavisióndefuturo,eldespachoSerrano&CovarrubiasAbogadossevisualizaposicionándosecomo unadelasmejoresopciones deasesoría,gestiónysoluciónlegalenelmercadolocal yregional,ofreciendoasus clientesunserviciodealta calidadyconfianza.
Av.IgnacioSandoval#1948,int.13 Col.LaCantera,Colima,Col. 3123283990
scabogados@infinitummail.com
www.serranocovarrubias.com
Serrano&CovarrubiasAbogados @SCAbogadosMx
Losservicioscontablessonesenciales paracualquierempresa,yaseapequeña omediana,yesporesoquecontarcon undespachoespecializadoenlamateriapuede serunagranventajaparaeléxitodesunegocio.
LaCPyMtra.MaríaElenaMurguía,ademásde serlaactualTesoreradelaCámaraNacional deComercioenColima(CANACO)eslalíder deServiciosContablesIntegrales,unaempre‐sadedicadaabrindarsolucionescontables, fiscales,legalesyadministrativasdemanera responsableyhonestaapequeñasymedia‐nasempresasenMéxico.Lafirmacuentacon unequipodeprofesionalesaltamentecapaci‐tadosyespecializadosendiferentesáreas,lo quelespermiteofrecerunserviciocompletoy personalizadoacadaunodesusclientes.
«Somoscontadoresdeterminados,porello buscamosqueServiciosContablesIntegrales seareconocidoanivelnacional,nosóloporser prestadoresdeserviciosenmateriacontable, sinoporserlosmejoresaliadosparatunego‐ciooempresa,porquenossatisfacecrecerde lamanodenuestrosclientes».
Entrelosservicioscontablesintegralesque ofreceeldespacho,seencuentranlaconta‐bilidadgeneral,lafacturaciónelectrónica,la declaracióndeimpuestos,lanóminayloses‐tadosfinancieros.Estosserviciossonfun‐damentalesparacualquierempresa,yaque permitenunregistroclaroyordenadodelas operacionesfinancieras,asícomocumplir conlasobligacionesfiscalesdemaneraco‐rrectayoportuna.
Antelosconstantescambiosenlasreformas fiscales,ServiciosContablesIntegralessiemp‐reestáatento, «compartimoscomomisión laborallafirmeconviccióndeofrecersolucio‐nesefectivasyasesoramientofiscalacada unodenuestrosclientes,bajolagarantíade recibirunaatenciónespecializada».
Suexperienciaenelramodelacontabilidaden Méxicoleshaotorgadolacapacidaddefacili‐tarlasrelacionesqueinvolucranalfiscoyalos contribuyentes.Sucalidad,honestidad,confi‐dencialidad,integridadyconstancialeshanlle‐vadoamantenerunalíneadetrabajocompro‐metida,profesionalytransparente.
LeónFelipe#65.Col.LomasVerdes,ColimaCol. 3123236839&3129438222
elena.murguia@scontables.mx
elenamurguiacovarrubias scontables.mx
Comidaconencantoenunambienteconhistoria.
Sibuscasunlugaracogedorparadisfrutardeundeliciosodesayunoo brunch,conunadecoraciónvintage quetetransportaráaotraépoca,entonces terecomendamosvisitarelrestaurante «CaféÉpoca27Desayuno&Brunch»
Conunaexcelenteytranquilaubicación,este lugaresperfectoparacomenzareldíacon energíaybuenánimo.Sudecoraciónretrote harásentircomosiestuvierasenunapelícula deantaño,conmueblesantiguos,cartelesy detallesdecorativosquetesorprenderán.
ParaAlfonsoAguilerayEliaMéndez,propieta‐riosycreadoresdelconcepto,lomásdes‐tacadodeesterestaurantees,sinduda,sude‐liciosacomida.Conunmenúvariado,exquisi‐toyrenovado,encontrarásopcionesparato‐doslosgustos.Desdeplatillostradicionalesy yapreferidosporlosclientescomoloschi‐laquilesépocabañadosensalsasuiza,chi‐laquilescolimotes,chilapotles,huevitosal gustoohotcakes,hastaopcionesmásdes‐tacadascomoelmuysolicitadotoastde aguacateoelomeletterellenodearracheray bañadoensalsadeelote,todopreparadocon ingredientesfrescosydegrancalidad,cuidan‐dolosdetallesylapresentaciónalcomensal.
Además,elservicioesexcepcional.Losmeserossonama-
Siestásbuscandounlugarparadisfrutarde undesayunoobrunchmemorable,tereco‐mendamosencarecidamentequevisitesel restaurante«CaféÉpoca27».Laatmósfera vintage,ladeliciosacomidayelexcelente servicioloconfiguraronenunlugarúnicoy especialquenotepuedesperder.
blesyatentos,ysiempreestándispuestosarecomendartealgodelmenúoayudarteconcualquiersolicitud especialquetengas.
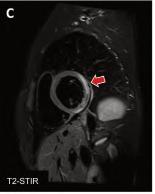
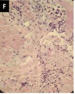
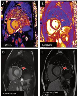
Lamiocarditisesunainflamacióndel músculodelcorazón(miocardio). Puedesercausadaporvariasenferme‐dades,infeccionesviralesobacterianas,tra‐stornosautoinmunitarios,exposiciónatoxi‐nas,entreotrosfactores.
¿CUÁLESSURELACIÓNCONLACOVID-19?
EnelcontextodelapandemiadeCOVID-19,se hainformadodecasosdemiocarditisaso‐ciadosalainfecciónporelvirusSARS-CoV-2. Secreequeestopuededebersealarespuesta inmunitariadelcuerpoalainfección,que puedeprovocarinflamaciónenvarios órganos,incluidoelcorazón.
Tambiénsehainformadodecasosmuyraros demiocarditisdespuésdelavacunación contraCOVID-19,especialmenteenpersonas jóvenesdespuésderecibirlavacunadeARNm (Pfizer-BioNTechyModerna).
Aunquesenecesitamásinvestigaciónpara comprendercompletamentelarelaciónentrela miocarditisylavacunaCOVID-19,losexpertos hanseñaladoquelosbeneficiosdelavacu‐
nacióncontraCOVID-19superanconcreces losriesgosdeefectossecundariosgraves.
Esimportantedestacarquelamiocarditises unaafeccióngravequepuedeponerenpeligro lavida,pueslamortalidadpuedellegaraserha‐stadel20%encasodenosertratadaatiempo, yelmétodonoinvasivomásadecuadoparasu diagnósticoeslacardiorresonancia.
Siexperimentasíntomascomodolorenel pecho,dificultadpararespirar,palpitaciones ofatigadespuésdelavacunaciónolainfec‐ciónporCOVID-19,debebuscaratenciónmé‐dicadeinmediato.
¿Porquéestáasociadaaunainfección ovacunadeCovid,SARS-CoV-2?Resonanciamagnéticaybiopsiaendomiocárdica