



Esmuyhabitualescuchardiferentesmitosrelacionadosconelorigenylas causasdedistintasenfermedades,yenloshombreslosproblemasdepróstata noestánexentos,(cadaquiencuentacómolevaenlaferia).Elproblemaesque unamalainformaciónademásdecausarangustiaypreocupaciónpuedecomplicarlas accionesdeprevenciónytratamiento,yentoncessí,provocarunproblemamayor.
Ladetecciónatiemposiguesiendoelfactormásimportanteeneltratamientoycontrol delasdistintasenfermedades,yelcáncerdepróstatanosequedaatrás,yaqueuna revisiónatiempomejoranuestropronósticodesupervivencia.
DeacuerdoconelInstitutoNacionaldeSaludPública(INSP),enMéxicoelcáncerde próstataeseltipodecáncermásmortíferoentreloshombres(9.8muertesporcada 100milhombres).
Tenemoslaobligacióndeconocernuestrocuerpoyserlosprimerosendetectar cuandoalgonofuncionabien,recordandoqueeltiempoperdido,enverdad,nose puederecuperar.
EnDecisióndeEmpresariotecontamoslarealidaddeestaenfermedadrespaldados pormédicosespecialistasquenosplaticarondelosdiferentesmétodosy tratamientos,infórmatelomejorposible,apartirdelos40añoselhombrepuedetener problemasprostáticos;alos50añosmásdelamitadpresentansíntomasyporencima delos80añosafectanal90%.
Cuidarsenoescuestióndegénero,tomemosencuentaquelosmédicosespecialistas sonnuestramejorguíaparamantenernosllenosdesaludyvida.
AarónAndradeRamírez CoordinadorEditorial
Léenosyllévanoscontigoadondesea. Visita www.decisiondeempresario.com & issuu.com/decisiondeempresario
Síguenosenlasredessocialesparamás información,comentariosydetrásde cámarasdenuestrasediciones.
NOVIEMBRE 2022•Colima,México
Elcáncerdepróstataesunaenfermedadqueafectalavidademillones dehombresanivelmundial.Lapróstataesunapequeñaglándulacon formadenuez,queproducelíquidoseminalytransportaesperma, muchoscánceresdepróstatacrecenmuylentamenteypermanecen limitadosalaglándulaprostáticasincausarundañograve;pero existenvariantesdelcáncerquepuedensermuyagresivosy diseminarseconrapidez.
EVENTOS
SemanadelMédico2022 UnavezmáslaFacultaddeMedicinadela UniversidaddeColimacelebraysedistingue conlaparticipacióndeprofesoresy estudiantesenelmarcodelosfestejosdel díadelmédico.
BNIManzanillo.«Cambiandolaforma
Tomadeprotestadelnuevoequipode trabajodeBNICapítuloManzanillo.
INNOVACIÓN EN GINECOLOGÍA
Hilostensores Dra.AlejandraLópez
COMERCIO EXTERIOR
CompetitividaddelasMIPYMES SalvadorSuárez
CINE Y OPINIÓN
Creatividad:requisitoparaeléxito CristóbalRuizGaytán
IMAGEN EMPRESARIAL
Laimportanciadelaimagenen lavidaprofesional CarmiñaMejía
PLANEACIÓN CONTABLE
Contabilidadsanayestrategias fiscalesparamédicosespecialistas (ParteI) MaríaElenaMurguía
CAPACITACIÓN PARA EL TRABAJO
Hablemosclaro SergioUrsúa
EMPRENDEDORES
TejidosByMafer Unemprendimientoqueiniciótejiendo corazones.
DESDE EUROPA
PasoapasollegamosaLondres FátimaGaray
UnavezmáslaFacultaddeMedicinadelaUniversidaddeColima celebraysedistingueconlaparticipacióndeprofesoresy estudiantesenelmarcodelosfestejosdeldíadelmédico.
LaSemanadelMédico,nacecomouna celebracióndelaFacultaddeMedicina delaUniversidaddeColimaarealizar‐seenelmarcodelosfestejosdeldíadelmé‐dico,esenrealidadunanecesidadde formaciónintegraldelosestudiantescele‐brandosudíasocialperohaciendotambiénun reconocimientoasusprofesores.
Estefestejosehaconvertidoenunatradición paraelplantelquehaidocreciendoyqueen estaocasiónpropusieronllevaraelnombrede laDra.MónicaRíosSilva,quienesegresadade laUDCyunaprofesorainvestigadoraasignada porelCONACYT.Sunombramientoesunreco‐nocimientodelosestudiantesaladedicación quehatenidoenelprocesodeformacióny aprendizajedelosalumnos,esunadistinción asuquehacermédicoysusaportacionesenel áreadelasalud.
LaDra.MónicaRíosSilvacelebróycorres‐pondiósunombramiento. «Agradezcoinfini‐tamenteenprimerlugaralageneración 2019-2025,paramirepresentaunhonorelque mehayanconsideradoparacompartirconus‐tedesestasemanaentornoanuestrodíasocial. Puesyocreoqueenparticularestageneracióny unaservidoraestamosdestinadosaquenosto‐queenfrentarunidasyunidoslasadversidades».
«Sonunageneraciónquemehaenseñadomu‐cho,unaqueluchaporsusderechos,quese preocupaporsuautocuidado,queleda importanciaasusemocionesysentimientosy buscadejardeladolosestereotipos,quesepreo‐cupaporelmedioambiente,queessensiblea lasinjusticias.Ustedesseenfrentanaretosso‐cialesytecnológicosquelosylasquepertenece‐mosaotrasgeneracionesnotuvimos,hande‐mostradoconlassituacionesquehemosvivido queestáncomprometidosconsuvocación.Es‐toyseguradequeseráncapacesdeusartodas esasvirtudesparaelbiendesuspacientes,de laspersonasquelesrodeanyelsuyopropio».
Enesteperiododefestejosellevanacabo conferenciasmagistralesydiscusióndeca‐sosclínicosentrealumnosymédicosinvi‐tados,sehaceunamesaredondaparahablar deproblemasdesalud,seorganizan34 talleresdediferentesactividadesrelacio‐nadasconlamedicina,endondeelalumno tienelaoportunidaddedesarrollarsushabili‐dadescomo:suturadeheridas,atenciónde primerosauxilios,revisióndeelectrocardio‐gramaymuchasmásexperiencias complementariasmásquesequieranreforzar, paraqueenelfuturolespuedanservirenun mejormanejoclínicodesuspacientes.
ElDr.EmilioPrietoDíazChávez,directordelaFacultadde MedicinaenlaUniversidaddeColima,señalóquelosalumnos tienenunagranparticipaciónenestaSemanadelMédico porqueademásellossonlosencargadosdeorganizarla.
«DelaSemanadelMédicohansurgidomuchos proyectosdeinvestigación,setienecomoobje‐tivoprincipalimpulsarlosnuevosconocimien‐tosparalaprevención,diagnósticoytratamien‐todelasenfermedades,porellolainves‐tigaciónhasidobásica.Durantelapandemia, porejemplo,surgieronpropuestasdetrata‐mientosdelosprofesoresdelafacultad, tratandoalCovid-19comounaenfermedad nueva,ydentrodeestosproyectoslapartici‐pacióndelosalumnosesfundamental,ysede‐mostróenloseventosqueseorganizaronlos dosañosanterioresdemaneravirtual».
LaFacultaddeMedicinatieneunatasadeeg‐resode128alumnosporaño,deloscualesse titulanprincipalmenteporunexamengeneral deegresooportesis.
«Hemosvistocómohacrecidolamatrículaen elporcentajedemujeresqueformanpartede lacarrerademedicinaycadaañopodemosver
comolaparticipaciónprofesionaldelamujer aumentaentodoslosámbitos».
«ElcrecimientoenelavancedelamedicinaenColi‐mahasidonotable,elnúmerodeespecialistasen losúltimos10añossigueenaumentoylasnuevas especialidadesquesemanejan,muchosdeestos doctoresendiferentesramasdelamedicinahan egresadodenuestracasadeestudios,salendeles‐tadoparaextendersupreparaciónyregresanpara continuarconlaatenciónmédica,loqueha fortalecidotambiénlainfraestructurahospitalaria».
LamayorpartedelosproyectosdelaFacultad deMedicinasebasaneneldesarrollodelospla‐nesdeinvestigación,generalmenteenáreasbá‐sicascomofisiología,farmacología,bioquímica, etc…perotambiénenelcampoexperimental conelaportedediagnósticoytratamiento.
«Trabajamosenlarevisióndelosplanesdees‐tudiosydelaacreditacióndelaFacultadde Medicinaparamantenernoscomounainstitu‐
cióndecalidad,durante25añosyporquinta ocasiónestamosvalidandonuestrospro‐gramasacadémicosreconocidospororganis‐mosacreditadoresexternos». AseguróelDr. EmilioPrieto
«Nosvisualizamoscomounespaciodeexce‐lenciaacadémicaycientífica,nosvemosfor‐mandorecursoshumanosqueproporcionen atenciónintegraldesalud,conunenfoque científico,éticoyhumanista,multidisciplinario yuniversal,yqueestofortalezcaelsistemade saluddelalocalidad,unsistemadesaluddiná‐micodentrodenuestroestadoquecontribuya enlageneracióndeunaestabilidadeconómica ysocial,yquenosreconozcancomounains‐tituciónvanguardistaenlageneraciónydi‐vulgacióndelconocimientoatravésdelospro‐yectosdeinvestigacióneneláreadelasalud, enelámbitonacionaleinternacional».
Tomadeprotestadelnuevoequipo detrabajodeBNICapítuloManzanillo.
Conunagranafluenciaempresarialsellevóa caboenelpuertomásimportantedeMéxicola tomadeprotestadelnuevoequipodetrabajode BNICapítuloManzanillo,presididoahoraporRoberto NahúmAmayaZamora,adquiriendounagranrespon‐sabilidadycompromisoparacontinuarconelcrecimien‐todelaorganizaciónennuestroestado.
BNIeslareddeNetworkingmásgrande delmundo. «Enestegrupoloquehacemosesbuscarrecomendacionesentre empresasdemaneraorganizada,ycon ellopodemosmejoraryestrecharlazos paraampliarlareddenuestrosnegocios». AseguróRobertoAmaya.
ActualmenteelcapítuloManzanillocuenta con37miembrosregistrados,eneleventode latomadeprotestadelanuevaadminis‐traciónsetuvounaconvocatoriaimportante conmásde50empresariosinvitados.
«Soyunconvencidodequeloimportantees seguirestrechandolazos,cuandoselograco‐nectarycrearunvínculoconlosmiembrosdel capítulo,losnegociosvendránporañadidura,la ideaesseguiracercándonosanuevasempre‐sasquesepuedanintegrarconnosotrospara queelniveldeinteracciónyreferenciassein‐crementedemaneraexponencialyqueBNI sigacreciendo».
«EsimportantemencionarqueBNIesunared quenotieneningúninteréspolíticoy
Incrementartusprospectos paranegocios
Incrementatunegociode manerasustancialgraciasa lasreferencias.
Programasdedesarrollo profesional
Accedeanuestrasoportuni‐dadesyprogramasexclusivos paraperfeccionartusaptitudes comercialesydepresentación.
Grandesoportunidadespara hacercontactos
Participaenhasta52juntasal añoparalacreacióndecontac‐tosyexposiciónconmuchos otrosprofesionalescomerciales.
Recursosexclusivospara miembros
Recibirásboletinesmensuales conmaterialeducativosobrela creacióndecontactos,oratoria ynegocios.
simplementenosreunimosparahaceramis‐tadesynegocios.Contamosconunequipo muyfuerteconexpertosenlasdiferentesáreas empresarialesquepuedenaportarmuchopara mejorardíacondía».
LamembresíaenBNIofreceaccesoacapaci‐taciónempresarial,aprendizajeyoportuni‐dadesparaestablecercontactosyhacernego‐ciosconcientosdemilesdemiembrosdeBNI entodoelmundo.
«Haceramigosesbonitoyhacernegocios también,perohacernegociosconamigoses enverdadunverdaderoplacer».
Unainnovadorarevoluciónquehallegadoparasolucionar problemasestéticosyayudararejuvenecerlazonaíntima.
Lapolidioxanonaesunmaterialsintéti‐coyreabsorbible,utilizadodesdehace muchosaños,comosuturasenciru‐gías.Laexperienciaesmuyampliaysu aplicación,muysegura. Paraelaño2014,surgeenCorealaideade utilizarestematerialeneláreaestética.Adi‐ferenciadelascirugías,estoshiloscortos,vie‐nenprecargadosymontadospordentrode unaaguja.
Suaplicaciónsepopularizóeneláreaesté‐tica,conusosprincipalmenteenrostroycue‐llo,perotambiénpuedenutilizarseenabdo‐men,piernas,brazosymanos.Estoshilos,alo quetambiénselosdenomina“biológicoso colagénicos”,comienzanaserreabsorbidos porelpropiopaciente(enunprocesoqueva desde2a4meses).Produciránduranteeste proceso,unafibrosisindetectable,subcutá‐nea,provocandounatensión“silenciosa”,pro‐gresivaenlaszonasaplicadas,conresultados siempre,naturales.
LaSociedadEspañoladeGinecologíaEstética RegenerativaFuncional(SEGERF),explicaque
“unodelosprincipiosdeestaespecialidades que:todoloquesepuedehacerenlacara,se puedehacerenlavulvayporello,laaparición delosdistintostiposdehilostensoresdePDO (polydioxanone),enmedicinaestética,hasido unainnovadorarevolución,yaqueasociandi‐ferentescaracterísticasregenerativas,princi‐palmentelainduccióndenuevocolágeno.
Numerososmédicos,expertosenmedicina genitalestética,rápidamenteobservaronque lautilizacióndeestoshilosysucombinación conotrastécnicasregenerativassuponíaun aportemínimamenteinvasivo,excepcional paralosnumerososproblemasfuncionales delaparatogenitalexternofemenino”.
En2014,unequipodemédicoscoreanos,publicóunatécnicarevolucionariaconhilosde siliconaelásticosvaginalesparamejorarla funciónsexualenmujeresconsensaciónde vaginaamplia,estableciendoelconceptode rejuvenecimientovaginalfuncional.
Elginecólogoturco,Dr.OzgurLeylek,hadise‐ñadovariastécnicas,tantovaginalesparame‐jorarelsíndromedehiperlaxitudvaginal,la
atrofiavulvovaginalylaincontinenciadeorina, comotécnicaspúbico–vulvo-perinealescon unacombinacióndehilosPDOmonoyscrew paraliftingvulvar.
Contécnicasmínimamente invasivasrealizadasenconsultaconanestesialocal,el engrosamientodelamucosa vaginalconsigueunefectomecánicojuntoaunefectobiológicoduradero,queproporcionanpocoapocoloshilosensu degradacióncontinua.
Comohemosvisto,loshiloshanaparecidoen laginecologíaestéticaregenerativafuncional paraquedarse.Sucapacidadyversatilidaden suadaptaciónaltejido,proporcionauna herramientaúnicaparadesarrollarjuntoa otrastécnicas,combinacionesyprotocolos enlarestauracióndelafunciónenlosgenita‐lesfemeninos.
LaimportanciaquetienenlasMiPyMEs enlaeconomíadenuestropaís.
DeacuerdoconlosCensosEconó‐micos2019querealizóelINEGI,el 95%delosestablecimientosenMéxi‐coeranmicro(0a10personas),4%pequeños (11a50personas)y0.8%medianos(51a250 personas).Porlotanto,el99.8%eranMiPy‐MEsqueaportabanun68.4%delempleo.
Estasestadísticasreflejanlaimportanciaque tienenlasMiPyMEsenlaeconomíadenuestro país.Elgobierno,lascámarasempresarialesy lasinstitucionesacadémicastienenlagran responsabilidaddeaumentarsucompetitivi‐dadapartirdeofrecerservicios,perosobre todo,acompañamiento.
Paralosempresariosesmuy importantecontarconapoyos económicosparaelregistrode marca,laobtencióndelcódigo debarras,tablanutrimental,actualizacióndeimagencomercial,certificaciónyacreditaciónennormasinternacionales,consultoríayasesoría especializadaentemasdenegocios,campañaenredessociales, desarrollodepáginasweb, participaciónenferias,reunionesconproveedoresycompradores,entreotros.Sin embargo,cadaempresatieneun interésespecíficoyesimportanteguiarlaenesteproceso.
Lacoordinaciónentrelossectorespúblico,pri‐vadoyacadémicopermitellegaraunmayor númerodeMiPyMEsybrindarlesel acompañamientoquerequieren,deacuerdoa
susnecesidadesactualesyfuturas.Por ejemplo,losestudiantesdedistintasuniversi‐dadespuedenrealizarsuserviciosocialco‐munitariooprácticasprofesionalesiden‐tificandolosserviciosquerequierelaempre‐sa.Seguramentehabrámuchosotrosnego‐ciosenesamismaetapaqueestaránintere‐sadosenlosmismoscursosdecapacitación yapoyos.Conunejércitodeestudianteses posiblelograrunmarcajecasipersonalpara llevardelamanoalasMiPyMEsenesteproce‐sodeaumentarsucompetitividad.
Poniendoenprácticaesteesquematodala sociedadsebeneficia.Elgobiernolograun mayorimpactoconsusprogramasdeapoyo, lascámarasempresarialesyuniversidades brindanservicios,losestudiantestienenuna experienciarealysevinculanconlasempre‐sas,ylasMiPyMEsrecibenlainformaciónque necesitanysesientenacompañadas.
Elgobiernofederalyvariosgobiernoses‐tatalesymunicipalesestánhaciendoun esfuerzoimportanteenestesentido;love‐moscuandodifundenconvocatoriaspara empresariosyemprendedoresinteresados enalgúnserviciooadquisicióndeequipoy maquinaria.Perotodavíaexisteunaenorme cantidadderecursosanivelnacionaleinter‐nacionalquefavorecenlacompetitividad, muchosdeellosgratuitos.Esnecesarioges‐tionarydifundiraúnmásestosapoyospor
mediosfísicosyelectrónicos,enmomentos endondelaeconomíamundialmuestraun panoramasombrío.
UnodeestosrecursoseselportalMIPY‐MESMXdelGobiernodeMéxico.Esuna plataformaqueofreceherramientasempresa‐riales,informaciónútil,eventosyprogramas paraelfortalecimientodelascapacidadesy habilidadesdelaspersonasemprendedorasy lasMiPyMEs.Visitahttps://mipymes.econo‐mia.gob.mxynavegaenlassecciones aprender,emprender,vender,crecer,exportary T-MEC.Porejemplo,enexportarsemencionan lasoportunidadesdecomercioexterior,herra‐mientas,programasdecooperación,eventosy publicaciones,premionacionaldeexportación ySheTrades.
¿QuéesSheTrades?Enelsitiowebhttps:// www.shetrades.comsemencionaqueesuna iniciativacreadaporelCentrodeComercio Internacionalparasuperarlasbarrerasque enfrentanlasmujeresparaaccederaoportuni‐dadeseconómicas.Seconectaamillonesde mujeresempresariasconlosmercadosal tiempoquefomentasuplenaparticipaciónen elcomerciointernacional.Así,secontribuyea losObjetivosdeDesarrolloSostenible(ODS) delasNacionesUnidas.Tieneunespaciode aprendizajevirtual,unacomunidad,financia‐miento,herramientas,publicaciones,recursos, eventosyactividades.
Finalmente,unavezmásinsistoenla importanciadequelosgobiernosestatalesy municipales,cámarasempresarialesyuniver‐sidadesenMéxicoseconviertanenSociosLo‐calesoSociosdeConocimientodela PlataformaConnectAmericaswww.connec‐tamericas.com/esquefuecreadaporelBan‐coInteramericanodeDesarrollo(BID).Esuna oportunidadparaquelasMiPyMEs,emp‐rendedoresyestudiantesconozcanlaofertay demandadeproductosyservicios,participen encomunidadesparaintercambiarex‐periencias,tomencursosgratuitosenlíneay obtenganincentivosparaasistiraeventos internacionalesrelacionadosconelcomercio exteriorylainversión.
Cuandolaeconomíaglobalsedebilitayel panoramamundialesincierto,laformade contenersuscatastróficosefectosescon mayortrabajoyesfuerzo.Serequieredego‐biernos,cámarasempresariales,instituciones académicas,empresasyunasociedadactiva yparticipativa.Losretosactualesexigen seriedad,unidad,capacidad,trabajohonestoy conjunto,voluntadparaofrecerpropuestas, sensibilidadparaescucharopinionesysabi‐duríaparatomarlasmejoresdecisionespen‐sandoenelbiencomún,enloqueesmejor paralamayoríadelosmexicanos.
¿Hanvisto Everything,ever‐ywhere,allatonce?Dirigida porDanielKwanyDaniel Scheinert,esunadelaspelículasmejor evaluadasde2022,bienrecibidaporelpúblico engeneralylacríticaespecializada.Locurio‐soesqueeltema(lasdiferentesrealidadesy susposibilidades)escomplejo,conunguion queaprovechacadaoportunidadquetiene, peronofacilitalascosasparalaaudiencia. Hacetansolo10añosestaobrahubierasido unfracasoentaquillaydistribución.Hoy,un éxitoenambossentidos.
¿Quénosdiferencia?¿Porquéelpúblicoestá buscandopropuestascadavezmás arriesgadas?Películascomo GetOut, Kings‐man, Lalaland olaantesmencionada, demuestranquelaoriginalidadentemáticas, estiloypresentación,estásiendoatractiva paraelgranpúblico.Tienesentido(yex‐plicación).Laeradelstreaminghasobreexplo‐tadolashistoriasquedisfrutamos.Másymás
productosseestrenanmesames:series, cortometrajes,documentales,películas,solo menciónaloyseguramentetendrásdecenas deopcionesdiferentes,aritmomensual.Esto, sobradecirlo,cansa.
Hayunlímiteenlacantidaddehistorias,per‐sonajesyestructurasquepuedesversimila‐resantesdebuscaralgonuevo.Eltipoqueusa unacapuchanegrasevebien,perocuando hasvisto20películasdondeelprotagonista luceigual,inevitablementelosentirásrepe‐titivo.Ahíentranlaspropuestasoriginales,con elementosmenosesperados.
En Everything,everywhere,allatonce,lahisto‐riagiraentornoaunamadreasiática,que atiendeunalavanderíaenbancarrota,abando‐naconstantementesussueños,ytieneuna hijalesbiana.Tomaralgotancercano,quenos causeempatía,yluegolanzarloaunatrama fílmicacaptanuestraatencióndemanerain‐mediataynosenglobaenlaaventura.
Deestoscasos,ysobretododeesta tendencia,podemosaprenderaintroducir conceptosarriesgadosypersonajesintere‐santesennuestrasobras.Paralograrloenuna épocatanconglomeradadeproductos,la soluciónestáenempujarallímitenuestras ideas.Nosolohagasunprotagonistapoco exitoso,muéstraloensupuntomásbajo;no hagasunfilmedeterrorficcional,siémbraloen larealidadmásextrema,hassentirmiedoala audienciadeviviralgosimilar;nosoloconstru‐yasunaescenadeacción,experimentaconla cámara,muevelatoma,introduceelementos queaotrosojosluciríanextravagantes.
Sinmásqueagregar,soyCristóbalRuizGay‐tán…Disfrutenlafunción.
Empujartusideaspuedeser ladiferenciaentreunahistoriamás,yeléxitoinesperado delatemporada.
Nohayqueolvidarquenuestraimagentambién comunicayenvíamensajesalosdemássinque digamosunasolapalabra.
Holaqueridoslectores,¿cómoestán? Losinvitoaunejerciciodeimagi‐naciónmientrasleen:véanseentran‐doaunareuniónconsusclientesmás importantes,socioscomerciales,jefesoposi‐blesinversionistas.Supuesto,ascenso,nego‐ciooalianzadependedeesaentrevista.La decisiónesdeellosyustedesvanaeseúltimo encuentro.Séquelamayoríaestápensandoen quellevaríanperfectamenteestructuradoslos detallesdelnegociootendríanenmenteycon claridadlasaptitudesqueseesperandeus‐tedes,porsupuesto.Perolosinvitoaimaginar cuállesgustaríaquefuerasulenguajecorporal enesemomento,¿quisieranqueesaspersonas quetomaránunadecisiónqueseráfundamen‐talparaustedesloveancaminarsegurosycon‐fiados?¿Lesgustaríaquesumiradahaciaellos fueradirectayfranca?¿Seimaginanconuna sonrisaencantadoraquerompieraelhieloen‐trelospresentes?¿Cómosevenvestidosen esareunión?¿Lesgustaríaquesenotarasu buenapresenciaylaseguridaddesentirse agradablesalavistadelosdemás?
Sí,lomásimportanteentodoslosámbitos quenosmovemosesloquesomosdesdeel interior;lacalidaddepersonasylosvalores humanosporlosquetransitamoseneste caminollamadovida,perotambiénescierto quevivimosenunasociedad100%visualenla quelamayorpartedelosestímulosnosvie‐nendelosojos:celular,televisión,compu‐tadora,espectaculares,aparadoresytodala mercadotecniaquenosbombardea,sin embargoavecesolvidamosquenuestraima‐gentambiéncomunicayenvíamensajesalos demássinnecesidaddequedigamosniuna solapalabra.
Cuidaraspectoscomolahigienepersonal,el lenguajecorporal,ellenguajeverbalylosmen‐
sajesqueenviamosconlaropaqueusamos sonfundamentalesparalaconstrucciónde nuestramejorversióncomoprofesionales.
Higienepersonal. Mantenernossiempreimpe‐cables,conlaropabienplanchada,zapatos lustrososyuñasydientesenperfectoestado.
Lenguajecorporal:Caminarerguidos,veralos demásalosojos,saludarconunamanofirme, sonreír.
Lenguajeverbal. Hablarsinusaruntono demasiadoalto,noutilizarpalabrasmaldi‐chascomo“haiga”,“lacalor”,“enveces”.Co‐municarnosconunusoadecuadodelidioma españolsinmuletillas,paraestonosayuda siempreelhábitodelalectura.
Vestuario. Vestirnosdeformaadecuadaala ocasiónyalcódigodevestimentadelains‐titución,empresaoactividadquerealizo. Utilizarlagamadecoloresdeacuerdocon mitipodepielylaropaadecuadaparami cuerpoyedad.
Nuestrosconocimientosyaptitudesparala actividadprofesionalquedesempeñamosesy seguirásiendolomásimportante,peronues‐traimageninfluyedeformapreponderanteen eléxitoquealcancemos.Poresoessiempre recomendablemovernosenelámbitoprofe‐sionalconestamáxima:
“Amejorimagen,mayorpoderdeinfluencia”. ¿Ustedesquéopinan?
Enestemundosolohaydoscosasseguras:lamuerteypagar impuestos.Nohayafirmaciónmástriste,nimáscierta.
Seguramentehasescuchadoatus amigosocolegashablardecontabili‐dadoimpuestos,yterminasmás confundidodecomoestabas.Finalmentetu entornoeselmundodelamedicina,hospita‐lesyemergencias,noeldelosnúmeros,pero delosimpuestosnadienoslibramos. Poresoesmuyimportantequeconozcaslas opcionesquetienesparallevartuscuentasde lamejorformaposible,yaquehayvariasop‐cionesporlasquepuedesteneringresos,yva‐mosaanalizarlas:
comotuaguinaldo,vacaciones,prima vacacional,yPTU.
“dosempleadores”yporlomismoestás obligadoapresentardeclaraciónanual.
Asimiladosasalarios. Ingresosquese percibenocasionalmente,yse descuentaelISRdeesteingreso.Sonmuysi‐milaresasueldosysalarios,tienenlas mismasobligacionesydeducciones.
Lasdiferenciasquetienen,esquenocotizan enelIMSS(oISSSTE),noexistecomotaluna relaciónlaboral,yelúnicoingresoestuhono‐rariomensual,notienesaguinaldo,vacacio‐nesniningunaotraprestación.
3.
AltacomoPFAEPoRESICO.Obligacio‐nes:ElISReselúnicoimpuestofederal quetúcomomédicoestásobligadoapagar, yaquelosserviciosmédicosestánexentosde IVA.Parapoderempezaratributarcorrec‐tamente,debesseguirlossiguientespasosy cumplirconlassiguientesobligaciones:
• InscribirteenelRFC
• Facturarelectrónicamente
• Llevarcontabilidad
1.
Tedandealtaennómina. Estaesla formamássencillaparati,yaquela empresaquetedadealtadebehacertodos lostrámites,tusolotedebespreocuparporte‐nertuConstanciadeSituaciónFiscalcontus datoscorrectos,talescomotudomicilioytu régimenfiscal,elcualenestecasoseríaco‐mo:Régimendesueldosysalarios
Tuempleadorteretendrátusimpuestosyse lospagaráalSAT.Tienesvarias prestaciones,
Enestasdosmodalidadesnoesnecesariolle‐varunacontabilidadporseparado,ytodoslos mesesquienpagatusimpuestosestupatrón, soloencasosespecíficosdebespresentartu declaraciónanual.
Encuantoalaconsultaprivada,situspacientes tesolicitanunrecibodehonorarios,estás obligadoadartedealtatambiénporhonorarios.
Tenerunsolopatrónyotorgarrecibosdeho‐norariosenlaconsultaprivadacalificacomo
Encuantoalosimpuestosestatales,enelEs‐tadodeColimatambiénsepagael3%de ImpuestoSobreProfesiones(ISP),analizare‐mossucálculomásadelante.
Sinecesitaslosserviciosdeunasistenteoau‐xiliar,estásobligadoadarlosdealtaanteel IMSS,pagarel2%deImpuestoSobreNómina (ISN)ytimbrarsusrecibosdenómina,loscua‐lespuedenserquincenalesomensuales.En estecaso,tambiénestásobligadoapresentar
juntoconladeclaraciónmensualdeISR,elISR retenidosobresueldosysalarios. Todoslosmesesparaelcálculodetuimpues‐toprovisional,podrásdeducirlosgastosque seanindispensablesparaelgirodetuactivi‐dad,algunosejemplosson: Rentadelaoficinaoconsultorio,materialpara curación,compradeactivosfijoscomomesa deexploración,mobiliariodeoficina,equipo decómputo,papelería,pagodelaluzytelé‐
fono,elpagodesalarios,lascuotaspatrona‐lesanteelIMSS,etc.
Apartirdelaño2022,tenemosdosopciones parapagarelISRmensual,yvadirigidopara personasfísicasquenorebasanlosingresos de$3,500,000alaño,estenuevorégimense llamaRégimenSimplificadodeConfianza (RESICO).Lasprincipalesdiferenciasentreel PFAEPyRESICOsonlassiguientes:
«Dondehayunaempresadeéxito,alguien tomóalgunavezunadecisiónvaliente» -PeterDrucker
uáleselrolquedesempeñanlasempresasbienconformadas conpersonaldebidamentepreparado?Hablemosclaro.Las empresas,juntoconlasuniversidades,tienenunpapel importantenosoloenlaconformacióndetodoelpanoramaeconómicodeun paísodeunaregiónenespecífico.Loquehacenlasempresasenelámbitode lacapacitaciónydesarrollodelpersonaltienemuchoqueverconlapercepción quelasociedadengeneraltieneacercadeldesarrollosocialyeconómico.
Lasuniversidadessontemaaparte,peroennuestrasempresas,ungrupode colaboradoresbiencapacitadosydesarrolladosenlotécnico,perosobretodo enlohumano,generaunaoperaciónsólida,fuerte,deresultadosqueinde‐pendientementedelasseñalesexternasquesereciban,generaunacertidumbre dedesarrollo,crecimiento,producción,yconestolasensacióngeneralizadade quecadaparte(empresa-consumidores-sociedad)haceloquelecorresponde envíasdebuscardarlefortalezaaunpaís.
Loprimeroquesegeneraesseguridad.Laseguridaddetenerunempleoestable, profesional,conproyección.Yunapersonaconuntrabajoestable,esunaperso‐naquetransmitetodaesaseguridadconquieneslorodean.
Loquesigueesempatía.Laspersonasconseguridadtienenlacapacidad(men‐tal,física,social)de«conectar»conlosdemásyhacermásporlodemás.Sihay algoquenosfaltacomosociedadenestetiempopostvirus,denuevasreali‐dades,essermáshumanos,ponernosenloszapatosdelosdemás.
Ysí,desdenuestraempresapodemoslogrartodoesto,conpersonascolaboran‐doconnosotrosqueseanestables(mentalylaboralmentehablando),conpro‐gramasdecapacitaciónquelespermitandesarrolloenlotécnico,enlohumano, enlosocial.
Nodebemosmenospreciarlacapacidadquetienennuestrasempresasdedar seguridadnosoloasuscolaboradoressinoatodosengeneral,dehacercada unoloquenoscorrespondeenestecaminoporgenerarempleo,remuneracio‐nes,producción,buenosservicios,crecimientoytodaslasvariablesquehacen queunapoblaciónseapróspera. Hastaluego.
Elcáncerdepróstataesunaenfermedadqueafectalavidade millonesdehombresanivelmundial.Lapróstataesunapeque‐ñaglándulaconformadenuez,queproducelíquidoseminaly transportaesperma,muchoscánceresdepróstatacrecenmuylen‐tamenteypermanecenlimitadosalaglándulaprostáticasincausarun dañograve;peroexistenvariantesdelcáncerquepuedensermuyagre‐sivosydiseminarseconrapidez.
Actualmente,elcáncerdepróstataeseltipodecáncerquesediagnos‐ticamásfrecuentementeenloshombresyestosehalogradograciasa losavancesenlastecnologíasdedetección,sinembargosemantiene comolasegundacausademuertesmasculinasprovocadasporcáncer. Elcáncerdepróstatadebesertratadoporunespecialistaoncólogoquepue‐daidentificarelmejortratamientodelpadecimientodemanerapersonalizada ydeacuerdoalascaracterísticasdelmismo,sudesarrolloyagresividad.
Elcáncerdepróstataquesedetectaen formatemprana,cuandotodavíaestá limitadoalaglándulaprostática,tiene mayoresprobabilidadesdeteneruntrata‐mientoexitoso.
Lacienciahaencontradoalgunosfactoresde riesgoyhanlogradoavanzarenelentendi‐mientodecómoestosfactorespudierancau‐sarquelascélulasdelaglándulaprostáticase conviertanencélulascancerosas.
Entérminosgenerales,elcáncerdepróstata escausadoporcambiosenelADNdeunacé‐lulanormaldelapróstata.
Elcáncerpuedesercausadopormutaciones enelADN(uotrostiposdecambios)que mantienenactivadosalosoncogenes,oque desactivanlosgenessupresoresdetumores. Estostiposdecambiosgenéticospuedenpro‐piciarquelascélulascrezcanfueradecontrol. LoscambiosenelADNpuedenserheredados deunodelospadresopuedenseradquiridos durantelavidadeunapersona.
Consulteasumédicooncólogoourólogosipre‐sentaalgunosdelossiguientessignososínto‐mas,encasodeapealtoydatosdemalignidad acudiravaloracióndeambosespecialistas.
● Flujodeorinadébilointerrumpido.
● Urgenciarepentinadeorinar.
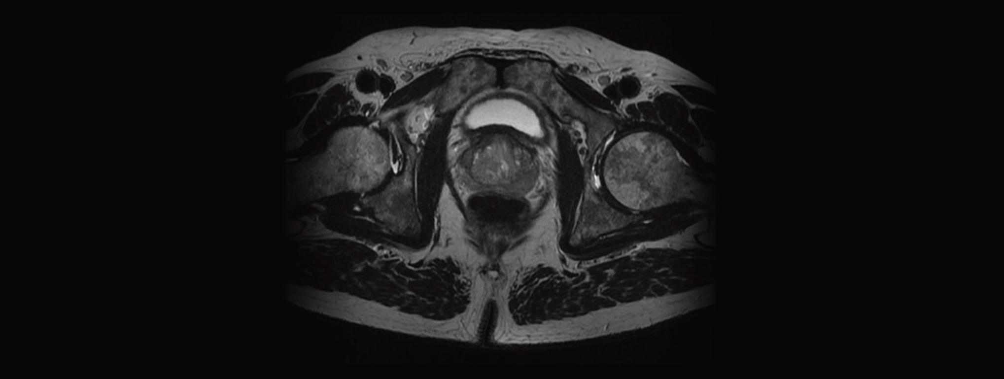
ABORDAJEDIAGNÓSTICODEPACIENTESCONCÁNCERDEPRÓSTATA
Habitualmenteelpacienteseacercaalmédi‐co,condatossugerentesdeafectaciónpros‐táticaconsignosquellamamos“prosta‐tismo”.Estossíntomassonurgenciaurinaria, nicturia(levantarsedurantelanocheaorinar variasveces),goteoterminalolasensaciónde nohaberterminadodevaciarlavejigaaltermi‐nardeorinar.
Elexamenquecasitodomédicoindicapara descartarosugerirafecciónprostáticaesla pruebaensangrequellamamosAntígeno ProstáticoEspecífico.Estasustanciaqueen pacientessanossueletenernivelesbajos,en pacientesconcáncerdepróstatasueleelevar‐seporencimadelos4ng/ml.
Lasguíasdetratamientoparaelabordaje diagnósticodepacientesconsospechade cáncerdepróstatadebenincluir:
● Necesidadfrecuentedeorinar(enespecial, denoche).
● Dificultadparaempezarelflujodeorina.
● Dificultadparavaciarlavejigaporcompleto.
● Doloroardoralorinar.
● Sangreenlaorinaoelsemen.
● Dolordeespalda,caderaopelvisqueno desaparece.
● Faltadeaire,muchocansancio,latidosrápi‐dosdelcorazón,mareoopielpálidaacausa deanemia.
Lapróstatatiendeacrecerconlaedadyblo‐quealauretraolavejiga.Estopuedeproducir problemasalorinaroproblemassexuales. Estaafecciónsellamahiperplasiaprostática benigna(HPB)y,aunquenoescancerosa,a vecessenecesitacirugíaparatratarla.Lossí‐
Ultrasonidoprostático. Quenosindicala formayvolumendelaglándulaprostática, peroqueademásnosindicalauniformidad deltejido,olaevidenciadetumoresenla glándulaquedebanserbiopsiados.
Biopsiaprostática. Eslaobtencióndematerialpros‐táticoparasuanálisisporpatologíaqueconfirmael diagnóstico.Estetejido,nosdainformaciónútilpara determinarlaagresividaddelaenfermedad.
Tambiénsepuedendiagnosticarlesiones“pre malignas”comolaproliferaciónintraductalatípicao laneoplasiaintraepitelialatípicadealtogrado,que aunquenosonconsideradascomouncáncer, obliganaunseguimientopuntual.
Unavezconfirmadoeldiagnóstico,lasguías detratamientosugierenqueelmédicodebe considerarlaexpectativadevidade cada paciente,investigarlacargafamiliaropor decirlodeotromodo,lacantidaddecasosde cáncerenlafamiliadecadapaciente.
Enfechasrecienteslasguíasdetratamiento sugierenya,quelainvestigacióndeuncasode cáncerdepróstatadebaincluirlainves‐tigacióngenéticaencasosconaltoriesgode serhereditariosconladeterminaciónde alteracionesdeporlomenosunpardegenes llamadosBRCA1yBRCA2. Parasabersilaenfermedadestáconfinadaa lapróstataosilaenfermedadyaestáafectan‐doganglioslocalesymetástasisadistancia, sepuederecurriraestudioscomolatomo‐grafía,resonanciaogamagrama,siendoeste últimoelestudiodeelecciónparaconfirmarla presenciadelesionesenhuesos. Paradiagnosticarelcáncer depróstata,seutilizanpruebasqueexaminanlapróstata ylasangre.
Esposiblequeseutilicenlassiguientesprue‐basyprocedimientos: Examenfísicoyantecedentesdesalud. Examendelcuerpopararevisarelestadoge‐neraldesaludeidentificarcualquiersignode enfermedad,comomasasocualquierotra cosaqueparezcaanormal.Tambiénseobtie‐nendatossobreloshábitosdesalud,los antecedentesdeenfermedadesylostrata‐mientosanteriores.
ExamenDigitaldelRecto(EDR). Examendel recto.Elmédicooenfermerointroduceundedo cubiertoporunguantelubricadoenelrecto parapalparlapróstataatravésdelapareddel rectoydetectarbultosoáreasanormales.
PruebadelAntígenoProstáticoEspecífico(PSA). Pruebadelaboratorioquemidelasconcentraciones delPSAenlasangre.ElPSAesunasustanciaquese
produceensumayorparteenlapróstata;avecesse encuentraenmayorcantidadenlasangredelos hombresquetienencáncerdepróstata.Esposible quelasconcentracionesdelPSAtambiénseanaltas enloshombresquetienenunainfecciónoinflamación delapróstata,otienenhiperplasiaprostáticabenigna (HPB;próstataagrandada,peronocancerosa).
Ecografíatransrectal. Procedimientoporelque seintroduceenelrectounasondadeltamaño deundedoparaexaminarlapróstata.Lasonda seusaparahacerrebotarondasdesonidode altaenergía(ultrasonido)enlostejidosu órganosinternos,ycrearecos.Losecosfor‐manunaimagendelostejidosdelcuerpoque sellamaecografía.Esposibleusarlaecografía transrectalduranteunabiopsia.Estosellama unabiopsiaguiadaporecografíatransrectal.
ImágenesporResonanciaMagnética(IRM) transrectal. Procedimientoparaelqueseusan unimán,ondasderadioyunacomputadoraa findecrearunaseriedeimágenesdetalladas deáreasdelinteriordelcuerpo.Seintroduce porelrectountransductorqueemiteondasde radiocercadelapróstata.Estoayudaaquela máquinadeIRMtomeimágenesmásclaras delapróstatayeltejidocircundante.LaIRM transrectalserealizaparadeterminarsiel cáncersediseminófueradelapróstata,alos tejidoscercanos.Esteprocedimientotambién sellamaimágenesporresonanciamagnética nuclear(IRMN).AvecestambiénseusalaIRM transrectalduranteunabiopsia.Enesecaso sellamabiopsiaguiadaporIRMtransrectal.
Labiopsiasehaceparadiagnosticarelcáncer depróstataydeterminarelestadiodelcáncer (puntajedeGleason).Esnecesarialatomade porlomenos12biopsias,incluyendoambos ladosdelapróstata.
próstataydeotrosfactores,sepuedeutilizar laradioterapia:
● Comotratamientoinicialparatratarelcáncer queaúnestáúnicamenteenlaglándulapros‐táticaconosinbloqueoandrogénicototalen etapasmásavanzadas.Lastasasdecuración paraloshombresconestostiposdecánceres sonlasmismasqueparaloshombrestratados conunaprostatectomíaradical.
● Sielcáncernoseextirpóporcompletooreg‐resa(recurre)eneláreadelapróstata despuésdelacirugía.Aumentodeantígeno prostáticomayora0.1ng/dl.
● Siposterioralacirugíaseencontróbordes positivos,invasiónacápsula,vesículassemi‐nalesoganglioslinfáticos.
● Sielcánceresavanzado,paraayudara mantenerelcáncerbajocontrolportanto tiempocomoseaposibleyparaayudarapre‐veniroaliviarlossíntomas.
Enlaradioterapiaderayoexterno,laradiación sedirigealaglándulaprostáticadesdeuna máquinaqueseencuentrafueradesucuerpo. Estetipoderadiaciónsepuedeusarpara tratardecurarloscánceresenetapasmás tempranas,oparaayudaraaliviarsíntomas, comoeldolorenloshuesossielcáncerseha propagadoaáreasespecíficasdeloshuesos.
Porlogeneral,ustedrecibirátratamiento5 díasalasemanaenuncentroambulatorio durantealmenosvariassemanas,dependien‐dodeporquéseadministralaradiación.Cada tratamientoconradiaciónesmuysimilaraso‐meterseaunaradiografía.Laradiaciónes máspotentequelausadaenunaradiografía, peroelprocedimientogeneralmentenocausa dolor.Cadatratamientodurasólounosminu‐tos,aunqueeltiempodepreparación(el tiempodecolocarleenellugarcorrectopara eltratamiento)tomamás.
Lastécnicasmásnuevasderadioterapiade rayosexternosenfocanlaradiaciónconmás precisióneneltumor.Estopermitequelosmé‐dicosadministrendosismásaltasderadiación altumoralavezquesereducelaexposiciónde radiaciónalostejidossanosadyacentes.
Estetipoderadioterapiautilizacomputadoras especialesparadeterminarconprecisiónla
ubicacióndesupróstata.Entonceslosrayos delaradiaciónsonconfiguradosydirigidosa lapróstatadesdevariasdirecciones,loque hacemenosprobablesquehayadañosalos órganosytejidosnormalescircundantes.
RADIOTERAPIADEINTENSIDADMODULADA
Laradioterapiadeintensidadmodulada (IMRT),unaformaavanzadadeterapia3DCRT,eseltipoderadioterapiaconrayoexterno máscomúnparaelcáncerdepróstata.Esta técnicaempleaunamáquinacontroladapor unacomputadoraquesemuevealrededordel pacienteamedidaqueemitelaradiación. Ademásdeconfigurarlosrayosydirigirlosala próstatadesdevariosángulos,laintensidad (fuerza)delosrayospuedeserajustadapara limitarlasdosisderadiaciónquelleganalos tejidosnormalesadyacentes.Administrarla radiacióninclusodeformamásprecisa,loque conduceamenosefectossecundarios.Apro‐ximadamente30-40%
Ambastécnicassecuentanenel centrooncológicodecolimaUnidaddeRadioterapia,porloque seencuentraalapartecnológica decentroscomoGuadalajara, MonterreyyCDMX.
nóstico,partesdelapróstataconcáncerysi elcáncersediseminóaotraspartesdel cuerpo).
● Laedaddelpaciente.
● Sielcáncerreciénsediagnosticóorecidiva (regresa).
Lasopcionesdetratamientotambiénde‐pendendelossiguientesaspectos:
● Sielpacientepresentaotrosproblemasdesalud.
● Losefectossecundariosdeltratamiento.
● Tratamientospreviosdelcáncerdepróstata.
● Losdeseosdelapaciente.
Elcáncersepuedediseminarenelcuerpode tresmaneras:atravésdeltejido,elsistema linfáticoylasangre:
● Tejido. Elcáncersediseminadesdedondeco‐menzóyseextiendehacialasáreascercanas.
● Sistemalinfático. Elcáncersedisemina desdedondecomenzóyentraenelsistema linfático.Elcáncersedesplazaatravésdelos vasoslinfáticosaotraspartesdelcuerpo.
● Sangre. Elcáncersediseminadesdedonde comenzóyentraenlasangre.Elcáncerse desplazaatravésdelosvasossanguíneosa otraspartesdelcuerpo.
Cuandoelcáncersediseminaaotrapartedel cuerpo,sellamametástasis.Lascélulas cancerosassedesprendendedondeseorigi‐naron(eltumorprimario)ysedesplazanatra‐vésdelsistemalinfáticoolasangre.
Eltumormetastásicoeselmismotipode cáncerqueeltumorprimario.Porejemplo,si elcáncerdepróstatasediseminaalhueso,las célulascancerosasenelhuesosonenreali‐dadcélulascancerosasdepróstata.Laenfer‐medadescáncerdepróstatametastásico,no cáncerdehueso.
Superior:dosimetríadeirradiaciónprostática conplanificaciónconvencional3D.
Inferior:planificaciónIMRT.Eláreadedosis terapéutica(árearoja)seadaptamuchomejor alvolumenblancoconIMRT.
Elpronósticoylasopcionesdetratamiento dependendelossiguientesaspectos:
● Elestadiodelcáncer(concentracióndel PSA,puntajedeGleason,grupodegradopro‐
Losespecialistasencáncerdepróstata reconocenlossiguientesprocedimientos comotratamientosadecuadosparael cáncerdepróstata:
● Esperavigilante
● Prostatectomíaradical
● Radioterapiaexterna
● Radioterapiainterna:braquiterapia
● Terapiahormonal
● Remocióndelostestículos(orquiectomía)
● Anti-andrógenos
●
Elriesgodedesarrollarcáncerdepróstatasein‐crementadramáticamenteconlaedad.Lamayo‐ríadeloscasosocurrendespuésdelos50años. Elriesgoesmayorsiunfamiliarinmediatoha sidodiagnosticadoconcáncerdepróstata.
Ladietadeunindividuopuedeinfluirenel riesgodedesarrollarcáncerdepróstata.La carneylosproductoslácteospuedenaumen‐tarelriesgo,mientrasqueelpescadoylosali‐mentosabasedetomatepuedendisminuirlo. Elgéneronodefinelasalud,esrecomendable tomarlasmedidasdeprevenciónyrealizarse loschequeosfrecuentesparavivirenarmonía plenaconnuestrocuerpo.
FUENTESDECONSULTA
www.cancer.org/es/cancer/cancer-de-prostata/tratamiento/radioterapia.html // www.nccn.org/professionals/physician_gls/pdf/ prostate.pdf // www.nccn.org/patients/guidelines/content/PDF/prostate-early-patient-ESL.pdf // www.cancer.gov/espanol/tipos/ prostata/paciente/tratamiento-prostata-pdq. // www.cancerquest.org/es/para-los-pacientes/cancer-por-tipo/cancer-de-prostata
Elproyectonaciósinpensarquese convertiríadespuésenunnegocio,el primerdetalletejidoqueMaríaFernandaSuárezPazrealizófueunregalopara sumamá.
«Enunaocasiónvilatécnicaenunvideode internetypenséquepodíaserunbonitodetalle pararegalar,algocreativoyartesanalquelleva‐raunpocodelsentimientopropio.Alprincipio solohacíacorazonesperoconeltiempoheido buscandocosasnuevasymejorandolosteji‐dos,jugandoconloscoloresydiseños».
Enmayode2019decidióparticiparenun mercaditoartesanalyesahícuandologró enfocarseycrearunavariedadmayorparala ventadesusdiseñostejidos.
«Comencéconpedazosdemaderaqueyate‐níaencasa,realizandodiseñossencillos,ycon eltiempolosdiseñossefueronperfeccionando yhaciendomáscomplejosporlospedidosque losclientesmehacíandemanerapersonal».
«Conelapoyodemiabuelofuequeempezamos acomprarlamadera,mayorcantidaddees‐tambreyarmarunpequeñotallerencasaparate‐nerunespaciodondetrabajar.Essobretodoen lasfechasespecialescuandocrecenlospedidos, cuandoseacercaeldíadelamorylaamistad,en eldíadelasmadresoentemporadadenavidad, sonlasfechasdemayorventayenlasqueme preparoparatenermáscosasparaofrecer».
LametadeTejidosByMAFERescontinuar creciendoensunegocio,dándolemayorpublicidadalasredessocialesparaalcanzara clientesdeotroslugaresyconsusventasapo‐yarasufamiliaconlosgastosacadémicos parasucarreradeenfermería.
«Megustamuchomitrabajoporqueademásde diseñarregalosquegeneransentimientosen laspersonasqueloreciben,tambiénmesirvea micomounaterapiaderelajación,disfrutomu‐chorealizarcadadiseñoysaberqueunaparte demívaimpregnadaencadadetalle».
Unemprendimientoque iniciótejiendocorazones.
Londres:Elrecorridodefinitivo delCamdenMarket
AcercarseaCamdenMarket,verlas diezletrasamarillasymonumenta‐lesdelpuentedeltren,quesehan convertidoencasiunareliquiadeLondres,y sonreírresultainevitable:esaentradaala zonadelosseismercadosmásicónicosdela ciudadsehatransformadoenunaparadaimp‐rescindibleparaquienesquierenrecorrerel mundoalternativolondinense,algoasícomo TepitooSanJuandeDios.
Bastaconquepongasunsolopieenel mercadoprincipalparaqueteconviertasen unpersonajemásdelentorno,esofuejus‐tamenteloquemepasóamí.Nosololasca‐saspintadasdecoloresllamativosfueronlas protagonistas,sinoquecadaunodelospues‐tosytiendasseadueñarondemicartera.
Recorrerlosestodaunaaventura.Aunqueno locreas,losCamdenMarketsatraenamásde 100milturistascadafindesemana,detodas partesdelmundo,queseaventuranalazona paraconseguirofertasenropa,accesoriosy otrosartículosartesanales.
Elrecorridolohicedesdelatardeyhastalano‐che,espacioenelquemediotiempopara recorrercadaunodelosseismercados: Detodoslosmercados,CamdenLockVillage esquizáselmásfamoso.Estosmercadoses‐
táncompletamentellenosdetodotipodeartí‐culosúnicosyhechosamano.Aquítambién encontrépuestosdecomidaqueofrecentodo tipodeplatillosdetodaspartesdelmundo.
Peroesosí,paraunestilomás retroovintage,TheStables Market,seconsideraqueesel mejordetodoslosmercados yaquecuentaconcercade700 tiendasdiferentesparaelegir.
Hastaestemomentoyapensabaquelohabía vistotodo,sinembargomesorprendióllegara CamdenHighStreet,unazonacomercialmuy popular,yaunquetécnicamentenoesun mercado,estállenadetiendasindependientes, baresyrestaurantes,muchosdeloscuáles cuentanconalgunosdiseñosylogotipos interesantesensusfachadas,delacualtenía quetomarfotosíosíyaqueningunacolección defotosdeCamdenTownestaríacompletasin unafotodeestasllamativasfachadas.
Lamayoríadelosnegociosenlosmercados deCamdenestánabiertostodoslosdíasde 10:00ama6:00pm,aunqueesciertoquesí metocóverquealgunoscomerciantesperma‐necieronabiertoshastamástarde.