





anvistoelnuevoautomóvildeBMWquecambiaelcolordesupinturaconunclic entusmartphone?¿Olapantallade65pulgadas,fabricadaporLG,quesepliegaen unespaciode30cmdentrodeunburóysedespliegapresionandounbotón?
¿ConocenlossatélitesStarlink,queenvíaninternetgratuitoorbitandolatierra,olosproyectosde SpaceX,quellevaránturistasalespacio?¿QuétallasentregaspordrondeAmazon,olos algoritmosderedessocialescomoTik-Tok,queanalizantupatróndegustos,disgustos, ubicaciónycomportamiento,paradeterminarquévideoocreadordecontenidopresentarteen tiemporeal,eligiendoenunabibliotecaquecuentaconmásdemilmillonesdeusuariosactivos?
Noeselfuturo.NoesBladeRunner.Es2023,yestácomenzando.
Tenertodasestasconsideracionesyactuardemanerainformada,determinaráelrumbodela humanidadenañosvenideros.Noesexageraciónodramatismo:Elcapitalismotienemuchas características,peroquizálamásimportante,essurespetoalconsumo.Elconsumidor,eneste sistema,tieneladecisiónfinal.Simañanatodosdejásemosdecomprargasolina,seinstalarían estacioneseléctricasencadaesquinadelplaneta,contaldemantenerelritmodegananciaque tienenlasgrandespetroleras.Esepoder,elpoderdelusuario,tupoder,esalgoquenuncadebes perderdevista.
Especialmenteentiemposcomolosquevivimos.
Cadatecnologíamencionadatieneprosycontrasydejarnosllevarporunodelosdosextremos siempreseránegativo.Poreso,estemesteinvitoainformarte,amantenerteactivoenlasáreas importantes,anocomprarporcomprar,sinopensarentucapacidadparamoldearelfuturo.
Nuncaimaginamosqueestosgrandesinventosexistiríanhoy,peroaquíestán,codoacodocon nosotrasynosotros.Caeennuestrasmanos,ennuestraresponsabilidad,actuarcomocorresponde.
Silatecnologíadelfuturoeselpresente,debemosconvertirnosenlahumanidaddelmañana.
CristóbalRuizGaytánTrujilloLéenosyllévanoscontigoadondesea. Visita www.decisiondeempresario.com & issuu.com/decisiondeempresario
Síguenosenlasredessocialesparamás información,comentariosydetrásde cámarasdenuestrasediciones.
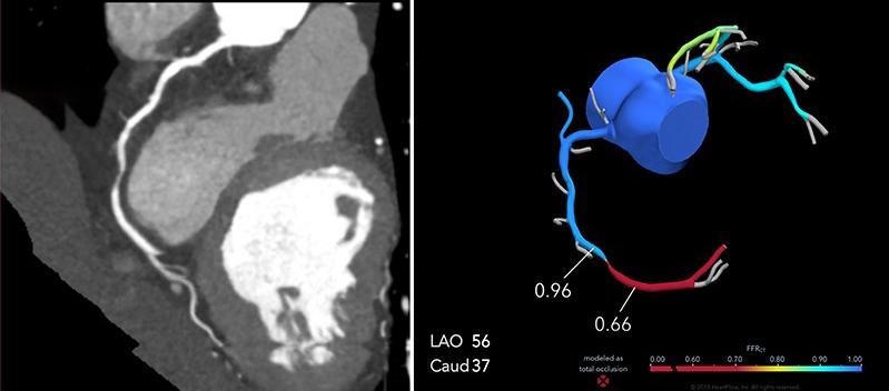
Adaptándosealosrequerimientosmédicosquedíaadíaseconvierten enunretoparadarconelresultadoexactodepatologíasdelospacientes,llegaaClínicaCórdobaunequipodetomografíarevolucionario,el másavanzadodelestadoactualmente:elToshibaAquilionCXL128.
COMERCIO EXTERIOR 08 ¿Cómoafrontarelaño2023? SalvadorSuárez.
IMAGEN EMPRESARIAL 10 _ Añonuevo,metas personalesalcanzables CarmiñaMejía.
PLANEACIÓN CONTABLE 12 _
Implicacionesdelareforma enmateriadevacacionespara lasPYMEs MaríaElenaMurguía.
CINE Y OPINIÓN 14 _ ¿Unproyectoinalcanzable? Avatar:TheWayOfWater CristóbalRuizGaytán.
DISTRIBUCIÓN.Demaneragratuitapormensajeríaentodoelestadode
Colima.Sidesearecibirlarevistaensudomicilio,favordesuscribirse enlapáginawebwww.decisiondeempresario.com
Año15,Número173,Fechadepublicación01deenerode2023. RevistamensualeditadaypublicadaporEditorialTsuryAsociadosS.A. deC.V.NúmerodecertificadodereservaotorgadoporINDAUTOR042020-121609031800-01.NúmerodecertificadodelicituddeTituloy contenido00-014-A-1436-20condomicilioenAmatista#101Col. ResidencialEsmeraldaNorteC.P.28017Colima,Col.,México.
DecisióndeEmpresarioinvestigasobrelaseriedaddesusanunciantes,pero noseresponsabilizaconlasofertasrelacionadasconlosmismos.Prohibida sureproducciónparcialototal.ImpresaenMéxico,printedinMexicoporTsur yAsociadosS.A.deC.V.EjidoTomatlán53Col.SanFranciscoCulhuacán, 04420Coyoacán,CDMX.todoslosderechosreservados,allrightsreserved copyrigth2022.
Anteunclimademayorincertidumbre,tenemos laoportunidaddenavegarestatormenta haciendousodenuestrasfortalezas.
Elinforme“PerspectivasdelaEconomía Mundial”delFondoMonetarioInter‐nacional(FMI)pronosticaqueelcreci‐mientoeconómicomundialsedesaceleraráa 2.7%enesteaño2023.Anteunclimade mayorincertidumbre,tenemoslaoportunidad denavegarestatormentahaciendousode nuestrasfortalezas:esfuerzo,flexibilidad, creatividad,innovaciónypasión.
Unproverbioorientaldice“Cuandosoplanlos vientosdecambio,algunoslevantanmurallasy otrosconstruyenmolinos”.Enestemomento, dondelagranmayoríadelaspersonasydelas grandesempresasvencaosyactúanconsigilo, seabreunaventanaparaquienesreconocenla oportunidadyactúancondestrezayrapidez.
Unproverbiochinodice“Debesingresarala guaridadeltigreparaatraparasuscacho‐rros”.Lapeordecisiónespermanecerinactivo enesteaño;porlotanto,esimportantetomar riesgosparaobtenerganancias.Porejemplo, sepuedeiniciarunnegocioinnovadorode‐safiaratuscompetidoresconestrategiasde ventaodemercadotecniacreativas.
Otroproverbiochinodice“Uncaballociego siempreseasustaasímismo”.Hoymásque nuncaelestarbieninformados,eldesarrollarun pensamientocríticoyelaprendizajecontinuoson losmayoresactivosdelaspersonas.Mientrasel miedoinvadealamayoríadelagente,quieneses‐tánpreparadospuedenmantenerlacalma,iden‐tificaroportunidadesytomarmejoresdecisiones.
“Elmejormomentoparaplantarunárbolfue hace20años.Elsegundomejormomentoes ahora”,proverbiochino.Sinduda,2023esel añoindicadoparaactuaryponerenpráctica todasaquellasideasinteresantesquedeja‐mosenelcamino.Laincertidumbredebe traducirseenimpulsoyacciones.
Diceotroproverbiochino,“Distintascerra‐durassedebenabrircondiferentesllaves”.Vi‐
vimoselcambiohaciaunnuevoorden mundial;porlotanto,elmundoseestá transformandoyestoscambiosnosgeneran incertidumbreyansiedad.Estacondición continuaráporlospróximosquinceaveinte años,yaquepaísescomoChinaeIndia,cada díaconunamayorinfluenciaanivelglobal, quierenserescuchadosyparticiparac‐tivamenteensureconfiguración.Elcaminoes sinuosoyapareceránproblemasquedebe‐mosanalizaryconfrontarrápidamente,po‐niendoapruebacadaunadenuestrasdestre‐zasyhabilidades.Parasaliraflotesedebeac‐tuarcondecisiónyflexibilidad.
Lasabiduríadeloschinossereflejaenelsi‐guienteproverbio:“Cavaelpozoantesdete‐nersed”.Comohaquedadomuyclaroporto‐doslossucesosqueestamosviviendo,en esteperiododeenormeincertidumbretodo puedepasar.LapandemiaporCOVID-19,la guerraentreRusiayUcraniaconlaposibilidad dequeescaleaunconflictointernacional,las consecuenciasdelcambioclimático…enfin, desafíosquenadiepuedeesquivaryquenos obliganapermaneceralertaantecualquier eventualidad.Unavezmás,laspersonasme‐jorpreparadaspodránvivirconmayorcerti‐dumbreytranquilidad.
Lodescritoanteriormentenodebedetener nuestrosplanesafuturo.Unproverbiochino dice“Cuantomáslargaeslacuerda,másalto volarálacometa”.Sisomoscapacesdepla‐nearnuestrofuturoalargoplazo,sidefinimos nuestrametaenlavidaytrabajamoscon esfuerzo,pacienciayconstancia;elop‐timismodespejaránuestramente,tomaremos
mejoresdecisionesytendremoslaenergía paracontinuarysuperarcualquierdesafío. Comoúltimoproverbioenesteartículo,esco‐múnescucharaloschinosdecir“Unaconver‐saciónúnicaconunsabiovaletantocomoun mesestudiandolibros”.Nuncaolvidemosla importanciadeplaticarconnuestrosamigos, asistiraseminariosycongresos,tomaruncafé conalgunapersonaqueadmiremos,disfrutar eltiempoconnuestrosseresqueridos,viajar dentroyfueradeMéxico,escucharyobservar elentornoparasersensiblesalosproblemas sociales,ydejarporunratonuestrosdisposi‐tivoselectrónicos.Elmundonecesitamásque nuncadepersonastrabajadoras,despiertas, críticas,creativas,propositivasypreparadas. Paraconfrontarlosenormesdesafíosque nosdeparael2023ylossiguientesaños,la gentedebemosactuarunidos,coordinadosy pensandoenelbiencomún.Aunquees importantecomenzarconcambiospositivos ennuestrapersona,yanoessuficienteesta acción,ahoraesnecesarioyurgentepromo‐verlosvaloreshumanos,laempatíayrespeto porotraspersonas,laeducacióndecalidad, elcuidadoalmedioambienteycadaaspecto quemejorelasociedad.
Despertemosyobservemosnuestroentorno, elmundoviveunatransformaciónycadauno denosotrosdecidesiseráunsimpleespec‐tadorounparticipanteactivoensuconfigu‐ración.¿Quéhogar,calle,colonia,ciudad,es‐tado,paísymundodejarásalaspróximasge‐neraciones?¿Cómoterecordarátufamilia, amigosysociedad?¿Cómoafrontarásel2023 ylosañosporvenir?
Comenzamoselaño2023ycomolagranmayoría delaspersonas,tenemospropósitos,metasy sueñosporcumplirparaestospróximos365días.
Pero¿sabíanquelamayoríadenoso‐trosfracasamosestrepitosamenteen logrardichosobjetivos?Estosedebe aquefomentamosunplanteamientoorien‐tadoalasmetas,enlugardeorientadoalos procesos.Proyectamosesquemasenlosque tenemosunamentalidaddetodoonada:“El próximoañovoyaserflaco(a),enlugarde incorporaramirutinadiariacambiodehábitos dealimentaciónyejercicio.Elproblemadel «todoonada»esquenodacabidanialmás mínimoerror.Ysifallasunavez,lomásfácil esquetedesanimesyterindasporcompleto. Estaesunadelasprincipalesrazonesporla quemuchagenteabandonasuspropósitosen febrero.Siyanolologréelprimermes,nome sientomerecedor(a),deseguirintentándolo. Sisomosdelosquedifícilmentepueden cumplirnuestrosobjetivosseguramentetene‐mosalgunadeestastendencias:
P����������,loquequieredecirqueesperas hastaelúltimomomentoparahacerlascosas.
P��������������������������� yestese manifiestaporquepermanentementetienes
undiálogointernoquete“recuerda”quelo buenoquetepasaespormeracasualidadya quenotienestalentosnicualidadespositivas.
T��������������������������������� ������� yestopuedeserconlacomida,el alcohol,eltabaco,algunassustanciasoinclu‐soeltiempoquepasasenredessocialeso frentealtelevisor.
Otradelascausasquenosimpidenlograr nuestrospropósitosesunaambiciónexcesiva: “terminaréelañoestandotodomarcado(a)” Marcarseobjetivosdemasiadoalejadosdela realidadessentarlasbasesparaunfracaso temprano.Paraalcanzarlameta,elpasodela realidadactualalpuntofinalidealizadodebe serpaulatino,sostenidoydebeestarrespal‐dadoporunaconductasistemática.Cambia hábitospocoapoco,demenosamásyverás indiscutiblementelosresultados.
Tambiénnosfaltaserprecisosenlasmetas: “elpróximoañotendrésolvenciaeconómica”, enlugardeprecisarquécantidadpiensoin‐crementarmesames. Eltanescuchado; “elpróxi‐moañoyavoyaecharleganas”, unobjetivo asíca‐
recederesponsabilidadpersonal.Siunobje‐tivoesdemasiadoimpreciso,puedeparecer másunaaspiraciónqueunametaconcretadel mundoreal.Sinuncentroclaroalqueapuntar, esimposibledarenelblanco.
Otrafallamonumentaleslafaltadeco‐herenciaconlarealidad: “megustaríaserbaila‐rinadeballetdelBolshoi”,cuandotengo cincuentaañosyenmividameheejercitado. Porsupuestoquelomásseguroesquefraca‐semosrotundamente.¿Meexplico?Simejor tepreguntas:¿Quéesloquedeverdadtemo‐tiva?¿Quéesloquemásfeliztehaceenla vida?¿Porquéabandonastetuspropósitosen añosanteriores?¿Cuálhasidotumayorlogro enesteúltimoañoyporqué?Tendrásun puntodepartidaclaroymaduropararealizar cambiospositivosentuvida.Afindecuentas, solovasacumplirtuspropósitosdeañonue‐vosiestánenconsonanciaconloqueeresy conloquedeverdadtehacefeliz.
Asíquequeridoslectores,lesdeseoun grandiosoiniciodeañolograndopocoapoco todossussueños.
Espreocupanteparaelmicroypequeñoempresario,yaque lainiciativanohaceningunadistinciónportamañodeempresa.
LareformaalaLeyFederaldelTrabajo paraquelosempleadosdeMéxico cuentenconmásdíasdevacaciones duplicaráelcostodelaprimavacacional,al cualnotodaslasempresaspodríanhacer frente,especialmentelaspequeñasymedia‐nasempresas(PyMES),quetienenunmenor margenparapagar.
Deacuerdoconlareforma,lostrabajadores formalesquetenganunañolaboradotendrán derechoyanosóloa6díasdevacaciones, sinoa12días,yseaumentarán2díasanuales enlossiguientescincoaños.Apartirdelsexto año,porcadacincoañosdeservicio,seau‐mentarán2días.
CuandolasPyMEScontratena alguien,tendránqueprever queledarán12díasdevacacioneselprimeraño.Nosólose incrementanesosdías,sinoel montoaerogarporconcepto deprimavacacional.
Hayqueconsiderarque,sibienlareformano tieneefectosretroactivos,esovaaimpactar entodalaplanillalaboral.Conformealafecha deingreso,estaráenunatabladiferente.Es preocupanteparaelmicroypequeñoempre‐sario,yaquelainiciativanohaceningunadis‐tinciónportamañodeempresa.LasPyMES normalmentemanejanprestacionesmínimas deley,quesonlos6días.Ahíelcostosein‐crementa.Enelcasodelasgrandesempre‐sas,muchasdeellasyadeporsíotorgan10 díasdevacacionesalañoy,porende,el impactoserámenor.
Seprevéquelareformaenmateriadevacacio‐nesentreenvigoren2023,añoenelque
tambiénseesperaqueoperenotroscambios queincrementenelcostodelanóminapara lasempresas,comoelalzaalascuotasquese paganalInstitutoMexicanodelSeguroSocial (IMSS)enretiro,cesantíayvejez.
Hayvarioscostosquesevienenpara2023,y esdondeseempiezaarevisarelincremento delcostodelanómina.Enelmomentoqueau‐mentaelcostodenómina,seplantealasub‐sistenciayviabilidaddelasPyMES.Sibientie‐neestareformavariosefectospositivos principalmentelasaludyelbienestar,también traeconsigorepercusionesfinancieras,fisca‐lesydeseguridadsocial.
Enautomáticoseduplicaelpasivolaboralpor primavacacional.Sibienlatasanosetoca,si‐gueen25%delingresototal;ahoraestaríamos hablandodelamisma,peroeneldoblededías. Lasempresasquetienenungrannúmerode trabajadores,cuandolostrabajadoressalgan
devacaciones,tendránquebuscartraba‐jadoreseventualesparasupliraquienestoma‐ránunnúmerodedías.Enelcasode empleadosconmayorantigüedad,crecerán lascuotaspatronalesalIMSSyalInstitutodel FondoNacionaldelaViviendaparalosTraba‐jadores(Infonavit),ynotodaslasempresas tendránlacapacidaddehacerfrenteaello.
Apesardequenoexisteunareformafiscal comotal,tenemosunincrementosustancial enlabaseytarifasdelascuotassocialesque afectanapatrones,quienesyaseencuentran muycastigadospordiferentescircunstancias.
Lareformalaboralvaageneraruncosto mayorparalosempleadores.Hoyqueesta‐mosenunareactivacióneconómicadonde hubo,portemasdeCovid-19,ungrannúmero dedesempleo.Pudieragenerarinclusoun temadeinformalidadporpartedelospatro‐nes,odefinitivamentelaquiebra.
Obsesivo,denigrante,genio,agresivo, visionario:Todoestoymás,mucho más,hanllamadoaJamesCameron, directordeclásicoscomo Terminator, Aliens, Titanic yporsupuesto, Avatar Esunodeloscreadoresmásimportantesque tienelaindustria,el“ReyMidas”delcine contemporáneoyamediadosdelmespasado, trasdoceaños,estrenóunanuevaobra: Avatar:Elcaminodelagua,secueladesuaclamadacintaque,hastahoy,eslapelículamás taquilleraenlahistoriadelcine.
Poresto,cargasobresushombrosunaserie derequisitosimpresionantes:Doceañosdesarrollandotecnologíanuevaparafilmarbajo elaguacontrajesdecapturademovimiento, elCGImásavanzadoquehavistolaindustria yunpresupuestodecasi260millonesdedóla‐res,másotros(estimados)200millonesen gastospublicitarios,laconviertenenunode loslargometrajesmáscostososdelahistoria,
queenpalabrasdesudirector,deberecaudar lomismoquelaprimeraparaserredituable,es decir,alcanzartodoslosrécordsqueesta mismafranquiciarompió.
¿Apuntódemasiadoalto?Loestamosaveri‐guando.Asufavor,Camerontieneunhistorial exitosoalmomentodeconstruirsegundas partes. Terminator2 y Aliens sonconsideradas pormuchoscomomejoresentregasquesus películasoriginales,aunquedebemosconsi‐derarquellevacasitresdécadassinhaceruna secuela,yesetoquemágicopodríaacabarse.
Porotraparte,susobsesionesparecenenfo‐carseenlaconstruccióndemundoylaexplo‐racióndenuevasespeciesyecosistemasen Pandora,latierraficticiadeesteuniverso,que encontarunabuenahistoria.Estonotiene quesermalo,esdecir,tanto Terminator como Aliens hacenlomismo,repetirlatramaoriginal conagregadosynuevoselementosquela vuelvenunahistoriamásinteresante,sin
embargo,esalgoatenerencuenta.Comodije, eltoquepuededesgastarseyponerenpeligro unaproduccióntangrande.
Además,debemosconsiderarelformato,pues Avatarseestrenaensalasdecine,noen streaming.Desdelapandemiasolohanhabi‐dodospelículasdeproducciónnorteamerica‐nacapacesdesuperarlosmilmillonesdedó‐laresenrecaudación: Spider-Man:NoWay Home y Top-Gun:Maverick.Estoyaesseñalde alarmaparalaindustria,peroloqueCameron buscanoessolosuperarestabarrera,sinola delosmilquinientosmillonesdedólares,para entrarenelclubselectodefilmesquelohan conseguido(incluidalaentregaoriginal).
Todasestasdudasseránresueltaspronto.De momento,noquedamásqueiralciney descubrirsieldirectormástaquillerodelmun‐do,lograhacerhistoriadenuevo.
Sinmásqueagregar,soyCristóbalRuizGay‐tán…Disfrutenlafunción.
Adaptándosealosrequerimientosmédicosquedíaadíaseconvierten enunretoparadarconelresultadoexactodepatologíasdelospacientes,llegaaClínicaCórdobaunequipodetomografíarevolucionario,el másavanzadodelestadoactualmente:elToshibaAquilionCXL128.
Elcuadrodesaluddeunpaciente requierederespuestasinmediatasa travésdeunestudioexactoenelme‐nortiempoposible.Esteequipoescatalogado comounaherramientadeúltimatecnología espectralquecuentaconeldoblededetecto‐resomás,enrelacióncontomógrafos convencionalesqueencontramosenrestodel estado.Cuentaconuntubode128detectores loquesetraduceenvelocidad,nitidezymayor precisióneneldiagnóstico.
Permiteevaluarnosololosdiversosórganos delcuerpocomoeltejidocerebral,sino tambiénlosvasossanguíneos.Seutilizaen estudiosderutinaparaanalizarelcuello,cere‐bro,tóraxylosdiferentesórganosdelabdo‐men,asícomoloshuesos.Susoftwarepermi‐teprocesarreconstrucciones3Dcongráficos derealidadvirtualdeexcelentecalidad,que sondegranutilidadparaclínicosycirujanos. Conestatecnologíasereduceladosisde radiaciónenhastaun80%,estolohaceuna excelenteopciónenpacientespediátricosy adicionalmentesoportahasta205kgdepeso, muyútilenpacientesbariátricos.
Estáequipadoconunagrancantidadde aplicacionessofisticadasqueabarcan especialmenteestudioscardiovasculares:Se puedeevaluarelcorazón,analizarmediante angiotomografíacoronariasusarteriasyrea‐lizarprotocolosparapacientesaquienesse lesplanearealizarunreemplazovalvular.Tie‐neunaresoluciónespacialquebrindamejor definicióndeimagenenestudioscomo angiotomografíademiembrospélvicos, angiotomografíaaórtica,angiotomografía cerebral,angiotomografíadetroncossupra‐aórticos,loquepermitediagnosticaryplanifi‐carlosprocedimientosencasoscomoaneu‐rismas,estenosisoanomalíasvasculares. Cuentaconherramientasfuncionalescomo perfusióncerebralyesposiblerealizarestu‐dioscomotomografía,colonoscopíavirtual, enteroUrotomografía.
ElequipoyaseencuentraenColimayse encuentradisponibleenelservicioderadiolo‐gíaeimagen“VOXEL”delaClínicaCórdoba.
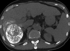
Actualmentesoyelúnicoradiólogo intervencionistaenelestadodeColima.La radiologíaintervencionistaesunasu‐bespecialidaddelaradiologíaqueseencarga derealizarprocedimientosdiagnósticosy terapéuticosdemínimainvasión.Estaabarca unamplioespectrodeenfermedadesque puedenserresueltasmedianteestastécnicas.
Laradiologíaintervencionistalapodemosdivi‐diren2áreas,visceralyvascular.
Realizobiopsiadediversosórganosytumo‐res,comosondetiroides,pulmón,hígado, bazo,riñón,páncreas,próstata,hueso.Enel hígadoporejemplopodemosrealizartrata‐mientosdediversostipos,yaseadrenajede quistes,abscesosodelavíabiliarenpacien‐tescontumoresenpáncreas,asícomoderi‐vacionesportosistémicas“TIPS”enpacientes conhipertensiónportalporcirrosis.Lostumo‐resbenignosymalignospuedensertratados medianteterapiasendovascularesembolizan‐doodandoquimioterapialocalatravésdelas arteriasquelellevansangre.
Otraalternativaterapéuticaparaelcáncerde hígadosonlasterapiastermoablativascomo sonablaciónporradiofrecuencia,microondas ocrioablación,quegenerandestruccióndeltu‐mormediantemuertecelularconlaaplicación
Estasúltimastambiénpuedenserutilizadas entratamientodetumorespulmonares.
Lasangiografíasdiagnósticasnosayudana analizarlaanatomíadelasarteriasyvenas quellevanlasangrealosórganos,comolo sonelcerebro,lasextremidadesoelintestino. Enocasionessepuederealizarenunmismo procedimientoeltratamiento,comoangiopla‐stiasenelcasodeestrechezdelasarteriasa niveldelaspiernasoembolizaciones,que consistenentaparelflujodesangrecuando presentamalformacionesenlosvasosoaen pacientesconsangradoactivo,como,por ejemplo,enelintestino.
Paraeltratamientosincirugíadelosmiomas,tu‐morquesepresentaconmayorfrecuenciaenla matrizdemujeresjóvenes,existelaemboli‐zacióndearteriasuterinas.Esteprocedimiento consisteencesarelflujodesangreparafrenar elsangradodelaspacientesydisminuirel tamañodeltumor.
Enelsistemagenitourinariodelhombreexisten drenajes,comolasnefrostomíascuandolos pacientestienenobstruccióndelconductoque drenalaorinaalavejigaporcáncer,sepuede embolizarlapróstatacuandoestacrecidaeinc‐lusive,sepuedenembolizarlasvenasenelcaso devaricocele.
Deestamaneralaradiologíaintervencionista esunsubespecialidadconunampliocampo terapéuticoquecadadíacrecemásconelde‐sarrollodenuevatecnología.
Paramásinformaciónvisitanuestrositioweb www.voxel.mxollamaal3122000719.