Dentista Magazine 01|2025

Page 1


All-on-Six: een duurzame oplossing voor volledige rehabilitatie in de bovenkaak

Podcast: ‘breek me de bek niet open’

”Ik vind het belangrijk om veelzijdig te blijven in mijn werk”

Thema: Implantologie

Met trots presenteren wij de Straumann iEXCEL Innovation Tour, een inspirerend evenement waarin innovatie, expertise en praktijktoepassing samenkomen.

Tijdens dit exclusieve evenement krijgt u de gelegenheid om als een van de eersten kennis te maken met ons nieuwe implantaatsysteem, Straumann® iEXCEL.

Wat kunt u verwachten?

• Innovatie: Ontdek ons nieuwe implantaatsysteem, digitale workflows en efficiënte platformen.

• Inspiratie: Leer van sprekers zoals Wiebe Derksen, Laurens den Hartog, Jasper Thoolen en Christian Jarry.

• Interactieve sessies: Ervaar de nieuwste technologieën bij onze experience booths.

Wij kijken ernaar uit u persoonlijk te ontmoeten in Hilversum op vrijdagavond 4 april!

iEXCEL INNOVATION TOUR HILVERSUM STRAUMANN® iEXCEL

Straumann® iEXCEL biedt de klinische veelzijdigheid van vier implantaatontwerpen binnen één systeem en de eenvoud van één prothetische connectie met een volledig geïntegreerde digitale workflow en services die zijn ontworpen om de efficiëntie binnen uw praktijk te verhogen.

REGISTREER NU

VOORWOORD

Waardevolle inzichten

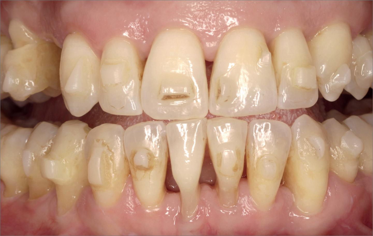
Binnen de implantologie worden we regelmatig geconfronteerd met situaties waarin patiëntverwachtingen en klinische realiteit botsen, aldus Martin Grobler in dit nummer van Dentista. Hij geeft aan dat de moderne, mondige patiënt vaak direct resultaat wil, terwijl je als behandelaar moet balanceren tussen biologische principes en haalbaarheid. Martin heeft dit aan den lijve ondervonden en laat aan de hand van een casus zien dat hij een belangrijke les leerde. “Een fout die volledig te voorkomen was, maar me waardevolle inzichten gaf over stabiliteit, botgedrag en de valkuilen van immediaat belasten.” Het geeft maar aan dat de implantologie niet altijd even makkelijk is. Zelfs als je al de nodige ervaring hebt. Een goede opleiding is dan ook essentieel als je wil starten met implanteren.

Violet Slettenaar wilde zich ook bekwamen in het vak: “Soms is er een implantaat nodig als onderdeel van een behandelplan, en dat wil ik dan zelf kunnen plaatsen.” Om die reden volgt Violet nu de leergang implantologie. We namen er een kijkje en leerde meteen meer over de achtergrond van Violet

en hoe assistenten Jacqueline en Noor voorbereidingen treffen voor de behandelingen.

In dit implantologie nummer interviewen we ook nog Frank Andriessen en David Rijkens. Wat zijn volgens hen de belangrijkste ontwikkelingen binnen de implantologie en welke praktijkinzichten willen ze delen? Uiteraard komt casuïstiek ook uitgebreid aan de orde. Zo laat Irfan Abas een duurzame oplossing voor volledige rehabilitatie in de bovenkaak zien, behandelt Ward Vandenbulcke FIIPP 2.0 en vertelt Wouter Kalk uitgebreid over implantaten bij oudere patiënten.

Dat implantologie niet alleen maar draait om technische vaardigheden weten we inmiddels, maar lezen we ook in bijdragen van Nurcan Yilmaz, Caroline Cuppens en Yvonne Kort. En dat is nog niet alles…

Veel leesplezier!

Lies en Ilko.

Colofon

Dentista is een uitgave van Dentista Media en verschijnt 4 keer per jaar

Redactie

Ilko Alink, Lies Ligtvoet

Redactie(adres) Dentista Media

Koggeschip 212, 7429 BG Colmschate Ilko Alink, ilko@dentista-magazine.nl

Digitaal aanwezig www.dentista-magazine.nl Instagram: @dentistamagazine

Aan dit nummer werkten mee

Martin Grobler, Violet Slettenaar, Celina Klappers, Irfan Abas, Yvonne Kort, Wouter Kalk, Jacqueline van de Zandschulp, Noortje Veenvliet, Frank Andriessen, David Rijkens, Marit Verschuuren, Nurcan Yilmaz, Ward Vandenbulcke, Caroline Cuppens, Moaad Alami, Valesca Nederlof, Paul de Kok, Jan van Tienen, Fridus van der Weijden, Marloes Rust.

Grafisch Design

Degen en Leideritz BNo

Vormgeving

LDB Production, Levin den Boer

Fotografie

Lars van den Brink

Abonneren

Dentista wordt in gecontroleerde verspreiding toegezonden aan tandartsen mondhygiënistenpraktijken in Nederland. Ben je werkzaam binnen de tandheelkunde en wil je Dentista ontvangen, stuur dan een e-mail naar: info@dentista-magazine.nl

Adreswijzigingen

Per e-mail: info@dentista-magazine.nl. Vermeld zowel je oude als nieuwe adres.

Marketing Ilko Alink, ilko@dentista-magazine.nl

Adverteren

Concetta Scibona, concetta@dentista-magazine.nl +31 6 281 829 62

Druk Wilco, Amersfoort

©2013-2025 Dentista Media. Niets in deze uitgave mag worden overgenomen, vermenigvuldigd of gereproduceerd zonder schriftelijke toestemming van Dentista Media of andere auteursrechthebbenden. Dentista Media kan geen aansprakelijkheid aanvaarden voor de juistheid en volledigheid van alle in deze uitgave opgenomen teksten en beelden.

10 6

Ik vind het belangrijk om veelzijdig te blijven in mijn werk

Violet Slettenaar

18

Een duurzame oplossing voor volledige rehabilitatie in de bovenkaak

Irfan Abas

25

De kunst van gezond tandvlees rondom implantaten

Yvonne Kort

Een leerzame faalervaring

Martin Grobler

28

Implantologie bij oudere patiënten Wouter Kalk

Voorbereidingen Jacqueline van de Zandschulp en Noortje Veenvliet

FIIPP 2.0

Ward Vandenbulcke

Implantologie door de jaren heen

Frank Andriessen en David Rijkens

Een heel bijzonder syndroom met orale kenmerken

Moaad Alami

Podcast: breek me de bek niet open Paul de Kok en Jan van Tienen

De fundering van succesvolle implantologie Nurcan Yilmaz

Een leerzame faalervaring in de implantologie

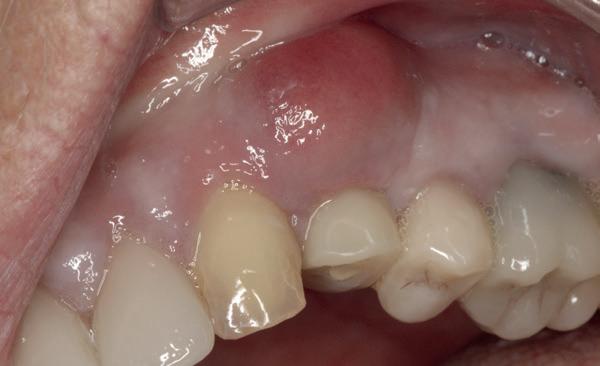
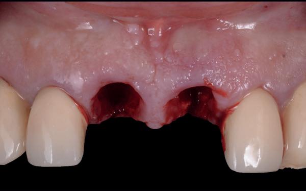
In de voortdurend evoluerende wereld van de implantologie worden we regelmatig geconfronteerd met situaties waarin patiëntverwachtingen en klinische realiteit botsen. De moderne patiënt is mondiger dan ooit en wil vaak directe resultaten, terwijl wij als behandelaars moeten balanceren tussen biologische principes en haalbaarheid. Vaak gaat dat goed. Soms niet. Dit is het verhaal van een casus waarin ik een belangrijke les leerde— een fout die volledig te voorkomen was, maar me waardevolle inzichten gaf over stabiliteit, botgedrag en de valkuilen van immediaat belasten.

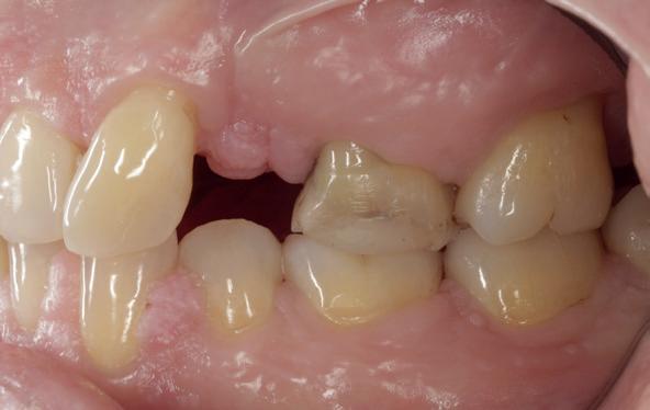
De aanleiding: waarom brak de kies?

De patiënt kwam bij mij in de praktijk met een afgebroken eerste premolaar 24. Op het eerste gezicht leek het een typische casus van structurele verzwakking, mogelijk door een oude restauratie of een occlusale overbelasting. Maar een nadere analyse toonde een veel fundamenteler probleem: er was geen hoektandgeleiding aanwezig.

Normaal gesproken neemt de cuspidaat de functie van disclusie over bij laterale bewegingen, waardoor premolaren en molaren worden ontzien van over-

matige zijwaartse krachten. Bij deze patiënt functioneerde de eerste premolaar echter als een canine, wat betekende dat hij continue laterale belasting kreeg waarvoor hij simpelweg niet ontworpen was. De breuk was dan ook geen toeval, maar een voorspelbare mechanische uitkomst van een verkeerde krachtenverdeling.

In een ideale situatie zou ik eerst de occlusale verhoudingen corrigeren voordat ik een implantaat plaatste. Maar zoals vaak in de praktijk, had de patient een duidelijke wens: een snelle, vaste oplossing, zonder aanvullende restauratieve behandelingen zoals het herstellen van de hoektandgeleiding.

1. Afgebroken 24. Geen hoektandgeleiding aanwezig.

2. Decapiteren van het element en splitsen van de wortels.

3. Verwijderen van de radices.

4. Curettage en spoelen met een zoutoplossing.

5. Het ridge preservation protocol waarbij we proberen zoveel moge-

lijk bot te behouden met behulp van een xenograft.

6. De tijdelijke pontic, waarbij gebruikgemaakt wordt van de eigen afgebroken kroon en wat composiet. 7-10. Een full thickness flap osteotomie met hand plaatsing van een MegaGen AnyRidge Implantaat volgens protocol resulteerde in een

Op dat moment stond ik voor een dilemma: vasthouden aan het ideale behandelplan en de patiënt overtuigen van een meer uitgebreide oplossing, of meegaan in zijn wens voor snelheid en efficiëntie.

De implantaatplaatsing en de beslissende fout (afbeelding 1-13)

De extractie verliep voorspoedig, waarbij ik zoals al-

primaire stabiliteit van 60 Ncm.

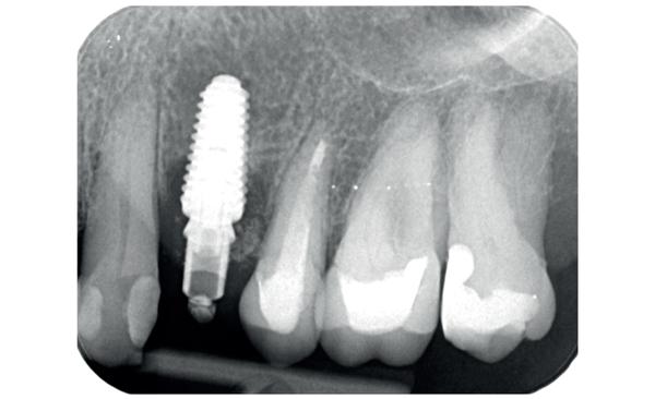
11. Röntgenfoto ter controle van de plaatsing en de angulaire. Dit bone-level implantaat werd 4 mm onder de weke delen geplaatst.

12. Direct post-op. Een direct geplaatste tijdelijke kroon. Vastgezet met een torque van 20 Ncm en gehecht met prolene 5/0.

tijd probeerde de buccale botlamel intact te houden. Dit is cruciaal voor latere botbehoud en implantaatplaatsing. Na curettage en spoelen van de alveole beoordeelde ik de situatie opnieuw: de botcondities leken gunstig voor een immediaat implantaat.

Hier begon echter de cruciale fout in mijn klinisch besluitvormingsproces. In mijn streven naar maximale primaire stabiliteit - wetende dat immediaat belasten enkel mogelijk is bij hoge stabiliteit -on-

13. Röntgenfoto ter controle van de pasvorm van de direct geplaatste tijdelijke kroon.

14-16. Patiënt presenteerde zich met een forse zwelling en botverlies rondom het implantaat.

17. Verwijderen van de tijdelijke kroon.

18. Explantatie van het implantaat.

19. Curettage van de alveole in combinatie met curettage totdat er geen exsudaat meer was.

derprepareerde ik de osteotomie. Dit betekende dat ik een iets te smal implantaatbed creëerde, in de hoop dat het implantaat stevig in het bot verankerd zou worden.

Op papier leek dit een logische stap: het MegaGen AnyRidge-implantaat dat ik koos, gaf me een stabiliteit van 60Ncm—een cijfer dat vertrouwen gaf in immediaat belasten. Maar in mijn enthousiasme had ik onvoldoende rekening gehouden met de biologische gevolgen van overmatige compressie.

Door de te hoge druk op het omringende bot verminderde daarin de doorbloeding, wat leidde tot een verhoogd risico op botnecrose. Dit was geen fout van abutmentkeuze of occlusie; dit was puur het gevolg van mijn drang naar optimale stabiliteit en de wens om het implantaat direct te belasten, onder invloed van patiëntdruk.

Tijdens de behandeling leek alles goed te gaan. De patiënt verliet tevreden de praktijk met een direct belaste tijdelijke kroon. Maar zes weken later kwam zij terug.

Het kantelpunt: de patiënt komt terug (afbeelding 14-16)

De patiënt meldde zich opnieuw in de praktijk met klachten: pijn, zwelling en een duidelijke intraorale infectie. Bij inspectie zag ik direct een probleemhet ging om een klassiek beeld van peri-implantair botverlies met een abces. Dit patroon van botverlies en infectie spiegelde sterk de gevolgen van thermische trauma.

Op de röntgenfoto’s zag ik wat ik al vreesde: er was botresorptie rond het implantaat. De zachte weefsels waren ontstoken en het implantaat vertoonde teke-

nen van mobiliteit. Op dat moment wist ik precies wat er was misgegaan.

Dit was geen kwestie van een verkeerde occlusie of een slecht gekozen abutment. Dit was een puur biologisch probleem, veroorzaakt door mijn onderpreparatie van de osteotomie en de daarmee gepaard gaande botnecrose of compressie. Mijn streven naar immediaat belasten had me verblind, en ik had een fundamentele regel van de implantologie genegeerd: bot moet kunnen ademen. Op dat moment had ik geen andere keuze dan de situatie te herstellen.

Herstel: terug naar de basis (afbeelding 17-19)

De behandeling van dit mislukte implantaat volgde een stapsgewijze aanpak:

1. Explantatie van het implantaat. Het implantaat werd voorzichtig verwijderd, waarbij ik probeerde zoveel mogelijk bot te behouden.

2. Curettage en reiniging. De alveole werd intensief gecuretteerd en gespoeld tot er geen exsudaat meer aanwezig was. Met goede communicatie kon ik de patiënt overtuigen om 3 maanden later terug te komen voor de botopbouw, zodat we het beste fundament konden creëren voor een duurzame oplossing.

3. Botopbouw met GBR. Ik koos voor een combinatie van allograft, xenograft en autograft om de botdeficiëntie aan te pakken. Dit mixen van bottypes creëerde een optimale omgeving voor regeneratie.

4. Twee-fasen implantologie. Dit keer nam ik geen risico’s. In plaats van een immediaat implantaat koos ik voor een delayed plaatsing. Het bot kreeg eerst de tijd om te rijpen voordat ik een nieuw implantaat plaatste. Deze keer verliep de procedure zonder problemen. Het bot herstelde zich zoals verwacht en na enkele maanden kon ik een nieuw implantaat plaatsen, met een correcte osteotomie en zonder onnodige compressie.

Reflectie: wat ik heb geleerd

Wat deze casus mij vooral heeft geleerd, is hoe gevaarlijk het kan zijn om klinische beslissingen te laten beïnvloeden door patiëntdruk en een verlangen naar snelheid. Achteraf gezien waren er twee hoofdredenen voor het falen:

1. Onderpreparatie van de osteotomie: mijn drang naar hoge primaire stabiliteit leidde tot te veel botcompressie, met necrose als gevolg.

2. De wens om immediaat te belasten: dit was een klassiek geval van ‘Just because you can, doesn’t mean you should’. Ondanks de hoge primaire stabiliteit was de biologische situatie niet geschikt voor directe belasting.

Dit heeft me doen beseffen dat implantologie niet alleen draait om technische vaardigheden, maar ook om klinische discipline en geduld. Soms betekent het dat je een patiënt moet teleurstellen in zijn of haar verwachtingen om een lange termijn succes te garanderen.

Deze fout was te voorkomen, maar hij heeft me iets onbetaalbaars opgeleverd: een diepgaand begrip van botgedrag, compressielesies en het belang van luisteren naar wat de biologie je vertelt - niet alleen wat de patiënt wil horen. In de implantologie kunnen we veel herstellen, maar het beste implantaat is nog altijd datgene dat in de eerste poging correct wordt geplaatst.

De auteur

Martin Grobler, Tandarts gespecialiseerd in orale chirurgie en Implantologie. Oprichter cursus Karma Blade chirurgie cursus (samen met Kees Heijdenrijk). Karma ambassadeur. Instructeur bij ABAS implant academy. Tandarts CBT Frisius MC (in opleiding voor tandarts-MFP). Eigenaar van tandartspraktijk Alldental Groningen.

INTERVIEW

Violet Slettenaar, tandarts

“Ik wil blijven ontwikkelen en zo breed mogelijk inzetbaar zijn”

Van wetenschapper in Londen naar tandarts in Laren: Violet Slettenaar heeft tot nu toe een bijzonder carrièrepad bewandeld. Na het behalen van haar master in biomedische wetenschappen en een promotieonderzoek in Londen, besloot ze het roer om te gooien en haar passie voor tandheelkunde te volgen. In 2014 rondde ze haar tweede studie, Tandheelkunde, af. In dit artikel spreken we met Violet over haar carrière, haar keuze om zich te specialiseren in implantologie, en hoe dit haar helpt om de best mogelijke zorg aan patiënten te bieden.

Violet werkte na haar studie Tandheelkunde tien jaar met veel toewijding bij T.X. de Jong Tandzorg in Amersfoort. Hierna vond ze het tijd voor een nieuwe stap. Begin dit jaar nam Violet Tandartspraktijk Kruijssen over in Laren. Momenteel combineert ze het runnen van haar praktijk met het volgen van de leergang implantologie bij Dental Best Practice. “Implantologie is een essentieel onderdeel van een reconstructief behandelplan, en ik vind het belangrijk om mezelf hierin verder te ontwikkelen.”

Je hebt eerst Biomedische Wetenschappen gestudeerd en in het vakgebied gewerkt.

Waarom koos je uiteindelijk toch voor tandheelkunde?

“Na mijn studie Biomedische Wetenschappen ben ik naar Engeland gegaan, waar ik aan de Queen Mary University of London mijn promotieonderzoek deed naar kanker en ontstekingsmediatoren. Maar toen ik klaar was, realiseerde ik mij dat mijn passie daar niet lag”, vertelt Violet. “Ik wil direct resultaat zien. In wetenschappelijk onderzoek werk je vaak lang aan één klein onderdeel, zonder direct effect te zien. Dat past niet bij mij.”

De keuze voor tandheelkunde ontstond tijdens een gesprek op een feestje met een vriend die als kaakchirurg werkte. “Ik zei nog: ‘Ik ga echt nooit een tweede studie doen!’ Ik heb er een jaar over nagedacht en ben met hem mee gaan lopen tijdens spoed-

diensten. En eerlijk is eerlijk, ik werd helemaal blij van tandheelkunde. Het is een vak waarin je direct resultaat ziet. Het draait niet enkel om wetenschap, maar vooral om ervaring en uitproberen.”

Tandheelkunde sprak haar ook aan vanwege de manier van werken. “Ik vind het leuk om met mensen bezig te zijn, maar wel in een kleine setting. Ik heb veel meegelopen in ziekenhuizen. Daar werk je in een hiërarchie en ben je afhankelijk van anderen én wat je wordt gegund. Binnen de tandheelkunde werk je meestal alleen met je assistent en patiënt, en heb je zelf meer de controle. Bovendien houd ik van gedetailleerd werken en dat maakt tandheelkunde voor mij extra aantrekkelijk.”

Met die overtuiging begon Violet aan haar studie Tandheelkunde, die ze in een razend tempo afrondde. “Ik was heel gedisciplineerd en ging er volledig voor. Tijdens mijn studie kreeg ik drie kinderen en zat ik midden in een verbouwing, maar het was het allemaal waard. Ik wist dat ik mijn roeping had gevonden.”

Hoe draagt jouw biomedische achtergrond bij aan je werk als tandarts?

“Dat vind ik lastig om precies te zeggen”, begint Violet. “Mijn biomedische achtergrond helpt mij om aspecten zoals de invloed van systemische ziektes beter te begrijpen en de bredere context in te schatten. Gaandeweg ontdekte ik dat evidence-based dentistry in de praktijk soms minder strikt wetenschappelijk is dan ik voorafgaand aan mijn studie had verwacht.

Het draait vaak om een combinatie van wetenschappelijke inzichten, klinische ervaring en wat het beste past bij de specifieke situatie van de patiënt.” Violet merkt ook op dat je, naarmate je langer in het vak zit, meer gevormd wordt door een bepaalde denkvisie.

“Dat gebeurt vanzelf, maar ik probeer altijd dingen vanuit een breder perspectief te blijven bekijken.”

Waar ligt jouw specifieke interesse binnen de tandheelkunde?

“Ik hou heel erg van reconstructieve tandheelkunde”, vertelt Violet. “Dus echt het herstellen van functies van het gebit, bijvoorbeeld bij slijtage of kiespijn. Ik kijk altijd naar de mond als geheel. Ik wil de tanden op de juiste plek zetten, zoals het in de natuur bedoeld is. Het geeft mij echt voldoening om functies

van het gebit weer te herstellen, zodat mensen weer zo lang mogelijk met hun gebit kunnen doen. Ik hou van het voorkomen van problemen. Reconstructieve tandheelkunde is echt mijn basis.”

Je volgt momenteel de leergang Implantologie. Waarom heb je hiervoor gekozen?

“Wat ik zo leuk vind aan tandheelkunde is dat je nooit bent uitgeleerd, en ik ben iemand die altijd nieuwe uitdagingen zoekt”, vertelt Violet. “Implantologie is voor mij een belangrijk onderdeel van reconstructieve tandheelkunde. Soms is er een implantaat nodig als onderdeel van een behandelplan, en dat wil ik dan zelf kunnen plaatsen. Zo kan ik mijn patiënten een compleet aanbod bieden.”

Om die reden volgt Violet nu de leergang Implantologie bij Dental Best Practice. “Mijn doel is niet

Violet Slettenaar

per se om gecertificeerd implantoloog te worden of een praktijk voor implantologie op te zetten, want ik vind het belangrijk om veelzijdig te blijven in mijn werk. Ik wil juist in alle vakgebieden mijn vaardigheden blijven ontwikkelen en zo breed mogelijk inzetbaar zijn.”

Wat zijn jouw ervaringen met de leergang Implantologie?

“De leergang bestaat uit theorie en praktijk. De praktijklessen worden gegeven door Thibaut de Jong in zijn eigen praktijk. Dat is de praktijk waar ik tien jaar heb gewerkt, dus het voelt heel vertrouwd om bij hem deze opleiding te volgen.”

Violet waardeert de kleinschaligheid van de opleiding. “We hebben een kleine groep van twaalf tandartsen, allemaal met een algemene achtergrond. Sommigen werken al in een praktijk waar implantaten worden geplaatst, terwijl anderen helemaal vanaf nul beginnen. Dat verschil maakt het juist interessant, want je leert zo veel van elkaar. De interactie

met andere cursisten tijdens theoriedagen en praktijkmomenten is enorm waardevol.”

“Soms is er een implantaat nodig als onderdeel van een behandelplan, en dat wil ik dan zelf kunnen plaatsen.”

Ze vervolgt: “Op praktijkdagen neem je je eigen patiënt en assistent mee. Van tevoren heb je je casus en plan van aanpak al met de groep en Thibaut besproken, zodat je tijdens de operatiedag zo goed mogelijk bent voorbereid. Je gaat een voor een aan de slag met het plaatsen van een implantaat bij je patiënt. Thibaut kijkt mee, begeleidt je door het proces en grijpt in waar nodig. Tijdens de leergang wordt heel bewust verteld dat je makkelijk moet beginnen, zodat je de techniek goed onder de knie krijgt en vertrouwen opbouwt.”

Naast de interactie met cursisten wordt er ook aandacht besteed aan samenwerking met andere mondzorgprofessionals. “Samenwerking is cruciaal, vooral als je streeft naar een multidisciplinaire aanpak. Je leert bijvoorbeeld hoe je een implantaat moet onderhouden en hoe je die kennis kunt overbrengen op je mondhygiënist of preventieassistent, maar ook de communicatie met de tandtechnicus is heel belangrijk.”

Waar moet een goede mentor volgens jou aan voldoen?

“Een goede mentor kan helder uitleggen, heeft passie voor het vak, en is flexibel als iets anders loopt dan gepland”, legt Violet uit. “Thibaut is daar heel goed in. Hij raakt niet in de stress en kan tactisch communiceren, ook als er iets misgaat.” Ze geeft een voorbeeld: “Bij het plaatsen van mijn eerste implantaat had ik de volgorde van mijn borenblokje niet gecheckt. Tijdens het behandelen klopte het gevoel niet, maar ik wist niet wat er aan de hand was en raakte er onzeker van. Het bleek dat ik een breder boortje gebruikte, terwijl ik eerst een smallere had moeten hebben. De boren stonden niet op de juiste volgorde. Gelukkig was Thibaut erbij om direct te ondersteunen. Hij nam het meteen over, loste het probleem op en zorgde dat alles soepel verliep. Het was een belangrijk leermoment voor mij: je moet altijd je materialen dubbelchecken.”

Wat is de meest praktische les die je tot nu toe hebt geleerd binnen de implantologie?

“Je moet flexibel zijn. Je kunt een plan in je hoofd hebben, maar soms loopt het anders, en dat is ook oké. Je moet niet schrikken als je van je planning moet afwijken, want dat hoort bij het vak. Als tandarts wijk je ook wel eens van een plan af, maar dat voelt voor mij toch vertrouwder. Bij implantologie, waar je vaak onder het tandvlees werkt, ligt dat anders. Het chirurgische aspect is nieuw voor mij en soms spannend, maar ik vind het ook heel leuk om te leren. Voorheen vermeed ik dat soort behandelingen, maar tijdens de opleiding word ik daar nu stap voor stap in begeleid.”

Bovendien leert Violet veel nieuwe praktische vaardigheden tijdens de leergang. “Denk bijvoorbeeld

aan hechten en het maken van incisies”, vertelt ze. “Ik realiseer mij ook hoeveel ik nog moet leren over implantologie, het is zo’n enorm breed vakgebied. In de tandartspraktijk in Amersfoort deed ik altijd het reconstructieve werk, terwijl Thibaut de implantaten plaatste. Daardoor besef je niet hoeveel werk er nog omheen zit. Zaken zoals het aanvragen van machtigingen bij verzekeraars heb ik bijvoorbeeld nooit eerder gedaan. Het is goed om daar nu veel ervaring in op te doen, zodat ik die kennis straks kan toepassen in mijn eigen praktijk. Gelukkig kun je al je vragen stellen tijdens de leergang.”

Je hebt onlangs een tandartspraktijk overgenomen. Hoe is deze kans op je pad gekomen?

“Ik kwam in de praktijk in Amersfoort op een punt dat ik meer uitdaging wilde. Via tandtechnieker Derk- Jan de Haan, waarmee ik samenwerkte, kwam ik in contact met Tandartspraktijk Kruijssen in Laren. Wat mij opviel, was hoe goed de visie van Sinne Kruijssen, de oprichter van de praktijk, aansloot bij mijn eigen ideeën over tandheelkunde. Het voelde vanaf het begin vertrouwd en als een plek waar kwaliteit, persoonlijk aandacht en innovatie centraal staan. Dat gaf mij veel vertrouwen toen ik in januari de kans kreeg om de praktijk over te nemen. Ik werk er nu vier dagen per week, en Sinne werkt zelf ook nog minstens één dag in de week.”

De overname was een intensief proces. “Het afgelopen jaar ben ik enorm druk geweest om alles te regelen. Het is een algemene praktijk met drie kamers, vier assistenten en drie mondhygiënisten. Het team werkt er al heel lang en heeft mij als nieuw gezicht heel warm ontvangen. Ik voel mij ontzettend gesteund door het team, en dat geeft echt een fijn gevoel als je aan zoiets groots begint.”

Hoe zie je de toekomst voor je met je eigen praktijk en je opleiding implantologie?

“Er verandert al veel in de praktijk, simpelweg omdat ik een ander persoon ben dan de eigenaar”, vertelt Violet. “Sinne is heel attent richting zijn patiënten en zet ze echt op de eerste plaats. Deze filosofie wil ik graag voortzetten, daarom passen wij als duo

Violet Slettenaar

ACADEMIAE.

Leergang Implantologie

Gedurende 10 lesdagen, waarvan 6 dagen theorie en 4 dagen praktijk, nemen we je mee in de wereld van implantologie waarbij je zelf ook 3 patiënten gaat implanteren.

Veel onderwerpen zullen de revue passeren en er komen verschillende specialisten hun kennis met je delen.

Een complete opleiding, waarbij we altijd zorgen voor een goede balans tussen theorie en praktijk.

De opleiding is inclusief een parallel opleidingsprogramma voor één van jouw assistenten!

START

SEPTEMBER

2025

61 KRTPUNTEN

PROGRAMMA

Diagnostiek, indicaties, contra-indicaties, (medische) risico’s en dossiervorming

Behandelplanning en implantaattypen

Flapdesign, hechten & live intake door docent

Botopbouw en tweede fase technieken

Live implanteren edentate kaak door Thibaut de Jong

Zelfstandig implanteren edentate kaak

Suprastructuren uitneembaar en vast & live implanteren dentate kaak door Thibaut de Jong

Voorbereiding op het examen

Examen (zelfstandig implanteren)

DOCENTEN

Thibaut de Jong | Xander Rijpstra | Bas Leempoel | Caroline Cuppens | Mardi Kwehandjaja | Jan Willem

Vaartjes | Erik van Olmen | Sascha van Hummel

goed bij elkaar. Tegelijkertijd wil ik de praktijk moderniseren, bijvoorbeeld door de aanschaf van een TRIOS 3 dental scanner. Hiermee kunnen we afdrukken van het gebit vervangen door digitale scans, wat voor patiënten comfortabeler is dan een mond vol met afdrukmateriaal. Zo kan door het scannen een (implantaat)kroon gemaakt worden. Daarnaast maakt de scanner het mogelijk om eenvoudige orthodontische behandelingen te doen, en oplossingen te bieden voor patiënten met slijtage aan tanden en kiezen.”

Naast modernisering ziet Violet ook kansen om implantologie binnen de praktijk verder uit te bouwen.

“Sinne deed al veel met implantologie. Ik zal ook samen met Thibaut gaan implanteren. Naarmate mijn vaardigheden zich ontwikkelen, wil ik die behandelingen steeds meer zelf gaan uitvoeren. Dat betekent ook dat ik verschillende implantaatsystemen moet leren kennen, want bij de opleiding werken we met iRES en in de praktijk zijn er andere implantaatsystemen.”

Ze sluit af: “Het is een hectische tijd waarin alles nieuw is, zowel als tandarts maar nu ook als on-

dernemer; andere boren, andere tandheelkundige software, een andere behandelstoel, contracten met verzekeringen regelen, personeelszaken, etcetera. Je wordt echt in het diepe gegooid, en moet zelf weer komen bovendrijven. En hoe ik dit allemaal doe, vraag ik mezelf soms ook wel eens af. Het is gewoon een kwestie van doorgaan, meteen oplossen wat je kunt en prioriteiten stellen. En hulp vragen! Het is soms zwaar, maar ook heel leuk en leerzaam.”

Soms is water niet genoeg

Verlicht het gevoel van een droge mond, biedt comfort en beschermt de tanden.

Extra bescherming tegen cariës dankzij 0,2% fluoride

Bevat 40 ppm fluoride en xylitol

Frisse milde smaak

Scan de QR-code voor meer informatie over een droge mond en onze nieuwe producten

www.tepe.com

Voor de erg gevoelige en droge mond

Direct comfort

Ideaal voor onderweg

Bevat enkel zonnebloemolie

Stimuleert speeksel

Zonder toegevoegde smaak, zachte formule

Aan te vullen met TePe Pure™ Tandpasta voor de droge en gevoelige mond

Nieuw

Ademen in de Jungle

Ons Jungle-team groeit, en daarmee ook onze kennis. Naast cariëspreventie richt ons team zich steeds meer op andere aspecten van mondgezondheid. Al sinds mijn opleiding ben ik gefascineerd door orthodontie: hoe het de groei en ontwikkeling van het gezicht beïnvloedt en welke impact dit heeft op het uiterlijk en mentale welzijn van een persoon. Samen met een aantal collega’s heb ik een specifieke interesse ontwikkeld in airway dentistry.

In Amerika zijn al diverse praktijken en klinieken volledig gespecialiseerd in deze benadering van ademhaling en mondgezondheid. De groei van online cursussen maakt het makkelijker om ons hierin te verdiepen. Wat ik het meest inspirerend vind, is de samenwerking die hierbij nodig is tussen tandartsen, mondhygiënisten, logopedisten (OMFT-specialisten) en orthodontisten. Een stabiele orthodontische behandeling begint immers met gezonde mondgewoonten: geen duim- of vingerzuigen, een juiste adem-

haling via de neus, en een goede tongpositie. Deze laatste heeft zelfs directe invloed op de groei van de bovenkaak en dus op de luchtweg.

Bij Jungle Tandartsen werken we hier actief aan. Bij onze intake gebruiken we een slaapvragenlijst voor ouders en kinderen om bewustwording te creëren. Ademhalingsproblemen en afwijkende mondgewoonten herkennen we hierdoor eerder, zelfs al bij jonge kinderen. In de afgelopen jaren hebben we onze expertise opgebouwd via externe cursussen, en nu delen we onze kennis binnenkort ook intern. Onze training wordt multidisciplinair, met bijdragen van tandartsen, mondhygiënisten, preventieassistenten, logopedisten en orthodontisten.

Kijk jij al op jonge leeftijd naar de ontwikkeling van de kaken bij kinderen? Want een gezonde kaakgroei begint vroeg – en dat heeft een levenslange impact.

Celina Klappers, Praktijkhouder-tandarts bij Wellestate tandartsen, IJsselstate tandartsen en Jungle tandartsen. @drs.celina_klappers

All-on-Six: een duurzame oplossing voor volledige rehabilitatie in de bovenkaak

Een gebit kan volledig falen of ernstig achteruitgaan door een combinatie van cariës, endodontische problemen of parodontale aandoeningen. In dergelijke gevallen is een totaalextractie vaak de enige optie. Aangezien een volledige prothese in Nederland wordt vergoed vanuit de basisverzekering, is dit vaak de eerste keuze. Uit onderzoek van Cawood & Howell (1998) blijkt echter dat alveolair bot resorbeert na extractie. In de eerste drie maanden treedt vooral horizontale resorptie op, gevolgd door verticale resorptie. Dit proces wordt geclassificeerd van klasse II (direct na extractie) tot klasse VI (volledige verticale resorptie). Naarmate het botvolume afneemt, volgt de omliggende mucosa deze resorptie. Hierdoor verliest de mucosa uiteindelijk ondersteuning, wat leidt tot een beweeglijke, zogenaamde flabby ridge. Bij ernstige resorptie kan een prothese onvoldoende houvast bieden tijdens het spreken en eten. Om dit probleem op te lossen, worden implantaten vanuit de bijzondere tandheelkunde vergoed, zodat patiënten een klikprothese kunnen krijgen. Deze protheses worden doorgaans goed gefixeerd met een stegconstructie of drukknoppen.

Het grote voordeel is dat de financiële bijdrage voor patiënten beperkt blijft. Het nadeel is echter dat patiënten lang moeten wachten voordat ze in aanmerking komen voor implantaten en in de tussentijd een losse prothese moeten gebruiken. Een alternatief is een vaste brug op implantaten. Een voordeel hiervan is dat er direct gestart kan worden zodra de patiënt akkoord geeft. Het grootste nadeel is echter de hoge kosten, die grotendeels voor eigen rekening komen. In dit artikel worden de indicatie, de spreiding van implantaten en de vervaardiging van de suprastructuur besproken.

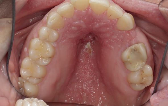
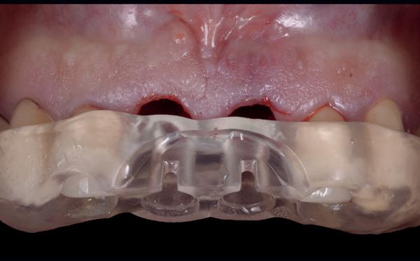
Casus

Een 54-jarige, gezonde man (niet-roker) had in het verleden volledige kroon- en brugwerken in de boven- en onderkaak. Een halfjaar eerder kwam de brug in de bovenkaak los door cariës onder de pijlers. De onderkaak vertoonde eveneens aanhechtingsverlies en pockets dieper dan 6 mm bij enkele elementen. De patiënt gaf direct de voorkeur aan een vaste

brug op implantaten boven een prothese. Vanwege gegeneraliseerde parodontitis in de onderkaak werd het volgende behandelplan opgesteld:

1. Vervaardigen van een noodprothese voor de bovenkaak, gevolgd door extractie van wortelresten en plaatsing van de prothese.

2. Initiële parodontale therapie, inclusief parodontiumstatus, initiële behandeling en herbeoordeling.

3. Implantologisch onderzoek gecombineerd met een CBCT-scan.

4. Plaatsen van 6 implantaten in bovenkaak met eventuele sinusbodemelevaties en kaakverbredingen.

5. Tweede fase chirurgie na zes maanden.

6. Vervaardigen van een tijdelijke brug van polymethylacrylaat (PMMA) op multi-unit abutments.

7. Twee maanden testen van de PMMA-brug op occlusie, articulatie en fonetiek.

8. Vervaardigen van een definitieve brug van zirkoonoxide met een titanium frame.

Voor een vaste brug is het belangrijk dat er zo spoedig mogelijk na de (totaal)extracties wordt gestart met het implanteren en de kaakverbredingen, het liefst immediaat. Hoe verder de resorptie gaat, des te meer roze porselein gebruik nodig is. Tegenwoordig wordt er geen porselein meer gebruikt, maar wordt het zirkoonoxide roze ingekleurd. Alleen bij immediaat geplaatste implantaten en direct een tijdelijke brug om de weefsels te ondersteunen, kunnen de witte elementen en de roze mucosa in harmonie zijn zoals in de natuurlijke situatie. Carl Misch (1993) heeft dit in zijn boek beschreven als Fixed Prosthodontics 1 (FP1). Is er verticale resorptie van weefsels, dan moet een compromis worden gekozen tussen onnatuurlijke lange elementen (FP2) of een combinatie van elementen met roze inkleuring van de mucosa (FP3).

Gezien er in deze casus eerst gekozen moest worden

voor een noodprothese, omdat er spoed was en de parodontale ontstekingen in de onderkaak tegelijk behandeld moest worden, werd hier gekozen voor een compromis met FP3 als vaste brug.

De behandelend mondhygiënist gaf na 4 maanden groen licht voor de onderkaak. Na initiële therapie en zelfzorg van de patiënt waren er geen pockets dieper dan 5 mm en was de bloedingsindex gezakt onder de 20%.

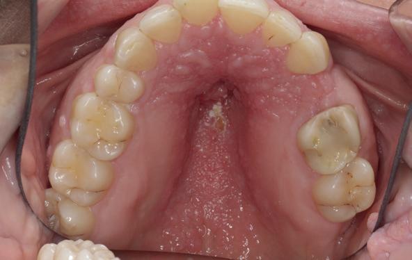
Voor het implantologisch onderzoek werd een CBCTscan (Trium CBCT, Acteon Frankrijk) vervaardigd van de edentate bovenkaak en in de software werd een planning gemaakt van 6 implantaten in de bovenkaak. De kaak kan opgedeeld worden in het front, tussen de 13 en 23 en de zijdelingse delen van de 14 t/m 17 en 24 t/m 27. Er dienen 2 implantaten in het front geplaatst te worden en 2 implantaten in de zijdelingse delen rechts en links, om een optimale verdeling van de implantaten (implant spread) te krijgen. De implantaten in deze casus werden gepland op posities 12, 22, 14, 24, 16 en 27. Tevens werd rekening gehouden met de krachtenverdeling óp de implantaten, deze zijn naar dorsaal toe forser dan in het front, daarom werd er gekozen voor brede implantaten (meer dan 5.0 mm in diameter) distaal en 4.0 mm diameter implantaten in het front. Voor de 16 was een crestale sinusbodemelevatie nodig en de 14 benodigde een kaakverbreding en verhoging.

Om de implantaten op de juiste vooraf geplande positie te implanteren, zijn er een aantal mogelijkheden (afbeelding 1 en 2). Eén daarvan is om de chirurgie guided uit te voeren, maar dat is lastig omdat de guide niet op elementen afgesteund kan worden. De guide dient dan met guide pins vastgeschroefd te worden, maar dat heeft als nadeel dat bij verplaatsing van de guide de implantaten niet op de juiste positie staan. Bij immediaat implanteren kan tegenwoordig gebruikgemaakt worden van meerdere stac-

1. Edentate maxilla
2. Planning in de CBCT-software Acteon AIS

IMPLANTOLOGIE

kable guides, die op een base guide geklikt kunnen worden. Een tweede methode is om op basis van de CBCT-scan in de mond uit te meten waar de implantaat locaties zijn en door te kijken naar referentie van de onderkaak. In deze cases werd besloten om de implantaten vrij uit de hand te plaatsen.

Chirurgie plaatsen van de 6 implantaten

Voor de behandeling kreeg de patiënt Amoxicilline 500mg 3dd1 gedurende een week voorgeschreven waarbij er een dag voor de chirurgie gestart werd, als pijnstilling Ibuprofen 600 mg 3dd1 voor een week en Blue M Mouthwash voor de mondspoeling gedurende de eerste 2 weken. Na de anesthesie werd een incisie gemaakt van tuber tot tuber en werd de

3. Na flap een guide pin in foramen incisivum

4. Plaatsen van 6 implantaten en kaakverbreding 14

5. Primaire sluiting met een door-

mucosa zowel buccaal als palatinaal afgeschoven. Het is belangrijk om te realiseren dat de bovenkaak zachter alveolair bot heeft dan de onderkaak en dat stug periost op de kaak kan zitten. Daarom is het van belang om te starten met curettage van de kaak. Na het vrijleggen van de canalis incisivum, werd een guide pin in de canalis geplaatst. Het kanaal loopt loodrecht op de kaak en kan dienen als referentie

lopende hechting

6. Tweede fase chirurgie

7. Intraoraal scan occlusaal van de implantaten

8. Intraoraal scan met de scan

abutments

9. Digitaal design tijdelijke brug

10. Setup van tijdelijke brug in het gezicht

voor de implantaten (afbeelding 3). Hierna werd met een meetinstrument de locaties van de implantaten uitgemeten en werd een initiële osteotomie op deze locaties gemaakt. Voor de 16 werd een crestale sinusbodemelevatie met Densah boren uitgevoerd. Hierbij werd het zachte bot gecondenseerd om naar crestaal geduwd te worden, waarna het membraan van Schneider meelifte. Door de osteotomie werden 1cc botkorrels geplaatst en daarna direct het implantaat. Ter plaatse van de 14 zat een verticaal botdefect, na plaatsen van dit implantaat, werd de kaak verticaal verhoogd. Er werden 6 implantaten van het merk AnyRidge (MegaGen Implant Company, Korea) geplaatst met diameter 5.0 mm aan de distale zijdes, diameter 4.5 mm bij de premolaren en 4.0 mm implantaten bij de laterale incisieven (afbeelding 4).

Ter plaatste van de 16 en 14 werden verticale matrashechtingen geplaatst, waarna er één doorlopende hechtingen van tuber tot tuber volgde met een 4-0 gevlochten hechtdraad (afbeelding 5). Gedurende de eerste 2 weken van de genezing is het van essentieel belang voor de wondgenezing, dat de patient geen bovenprothese draagt. Deze werd daarom ingenomen, met de uitleg dat direct dragen van de bovenprothese een nadelige invloed heeft op de genezing van de kaak, de botopbouw en de implantaten. Patiënt kwam 2 weken na de chirurgie retour voor het verwijderen van de hechtingen, waarna de binnenzijde van de bovenprothese werd uitgeslepen en voorzien werd van een softliner als nieuwe tijdelijke voering voor retentie van de bovenprothese. Vanwege de kaakverhoging en sinusbodemelevatie, werd 6 maanden genezing afgewacht van het bot en integratie van de implantaten.

Tweede fase chirurgie

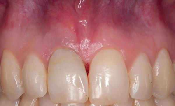
Na de genezingsperiode werd eerst een OPT röntgenopname vervaardigd om de genezing van de implantaten, kaakverbreding en sinusbodemelevatie te beoordelen. Er waren geen complicaties opgetreden. Bij de tweede fase chirurgie is het van absoluut belang dat er minimaal 2-3 mm gekeratiniseerd weefsel aan de buccale zijde van de implantaten wordt verkregen, anders kan de patiënt de implantaten niet goed reinigen en door de trekkrachten van de mucosa ontstaat al gauw peri-implantaire ontstekingen en recessies. De incisie hoeft niet van tuber tot tuber te zijn, maar 2 incisies van de 16 tot de 12 en 26 tot de 22 is voldoende, waarbij de incisie genoeg gekeratiniseerd weefsel aan de buccale zijde bevat, dat naar

de buccale zijde van de implantaten wordt geduwd. Er werden 6 healing abutments van 6 mm hoogte op de implantaten geplaatst, waarna de wonden werden gehecht met een 6-0 monofilament hechtdraad. In de prothese werd een nieuwe softliner over de healing abutments geplaatst. Het weefsel dient minimaal 4 weken genezingstijd te hebben (afbeelding 6).

Zitting 3 Scanafdruk

Voordat er een brug van zirkoonoxide gemaakt kan worden, dient met een tijdelijke brug de stand van de elementen, de curve, de occlusie en articulatie getest te worden. Hiervoor werd gekozen voor een kunststof gefreesde brug van PMMA. Daartoe werd een intraorale scan (Trios 3, 3Shape) gemaakt van de edentate bovenkaak, scan met scan abutments op de implantaten, scan van de onderkaak, scan van de prothese en een beetscan links en rechts met de prothese in (afbeelding 7 en 8). Daarnaast werden volgens een foto protocol portretfoto’s van het front, zij, boven, onder en rustpositie lip genomen. Op basis van de foto’s werd besloten om met een beetverhoging van 2 mm te werken. De technicus zette de foto’s en prothese over elkaar in de CAD-software (Exocad, Align) en stuurde de behandelaar een 3D-bestand van de tijdelijke brug met schroefgaten, die na goedkeuring werd gefreesd (afbeelding 9 en 10).

Zitting 4 plaatsen PMMA brug & multi-unit abutments

Wanneer de tijdelijke brug retour komt, dienen eerst de healing abutments verwijderd te worden en de implantaten uitgespoeld te worden met Blue M spoelmiddel in een monoject. De brug paste niet direct op de interne verbindingen van de implantaten, omdat deze daarvoor niet parallel genoeg stonden, omdat de kaak in een curve liep. Daarom wordt over het algemeen gekozen voor multi-unit abutments die op de implantaten worden gedraaid. Hierdoor wordt de brug op coronaal hoger niveau geplaatst en door de multi-unit abutments wordt een open inzetrichting verkregen.

De PMMA tijdelijke brug werd direct op de multi-unit abutments geschroefd met kleine schroefjes. De schroefgaten van de brug werden afgesloten met teflontape en composiet. Indien nodig, kon er aan de PMMA brug de occlusie en articulatie geslepen worden. In deze casus was dat verder niet nodig. De

patiënt kon 2 maanden functioneren met de tijdelijke brug, waarna een kort consult werd gepland om te bespreken of hij tevreden was met de esthetiek en functie. Voor de patiënt hoefde niks veranderd te worden (afbeelding 11-14).

Siliconenafdruk

Voor de vaste brug van zirkoonoxide dient een nieuwe afdruk gemaakt te worden. Een intraorale scan is niet precies genoeg om zirkoonoxide brug te ver-

vaardigen die zonder spanning op de implantaten te plaatsen is. Een scan op basis van fotogrammetrie is wel precies genoeg, maar dat is een erg kostbaar apparaat. Een siliconenafdruk is ook precies genoeg, mits vooraf de afdrukstiften aan elkaar gespalkt worden, zodat er geen beweging van de afdrukstiften ten opzichte van elkaar kunnen ontstaan tijdens het gipsen van het model. De technicus had daarom kunststof vlaggetjes op de afdrukstiften met kleurcoderingen gemaakt. Deze vlaggetjes werden met composiet aan elkaar vastgezet (afbeelding 15).

11. Tijdelijke PMMA-brug op model

12. Na plaatsen van multi-unit abutments

13. Na plaatsen tijdelijke brug op de implantaten

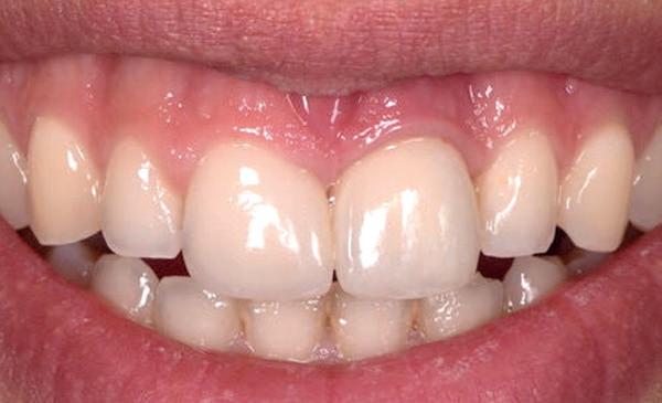
14. Portretfoto met tijdelijke brug

15. Afdrukstiften op multi-unit en verbonden met composiet

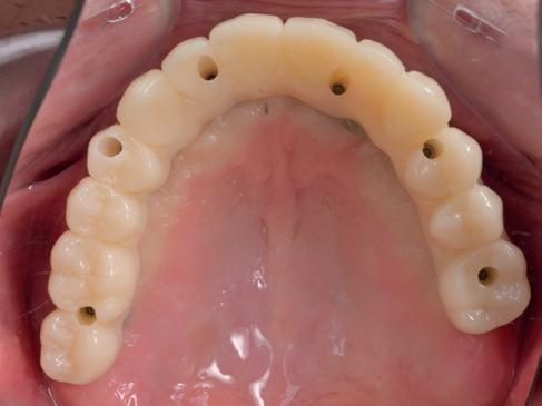
16. Brug van zirkoonoxide

17. Titanium frame in de brug

18. Occlusaal foto met de schroefgaten in de brug

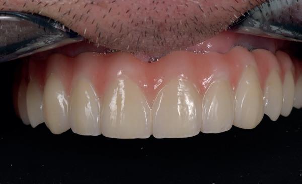
19. Brug geplaatst in occlusie

20. Frontaanzicht brug

Plaatsen vaste brug

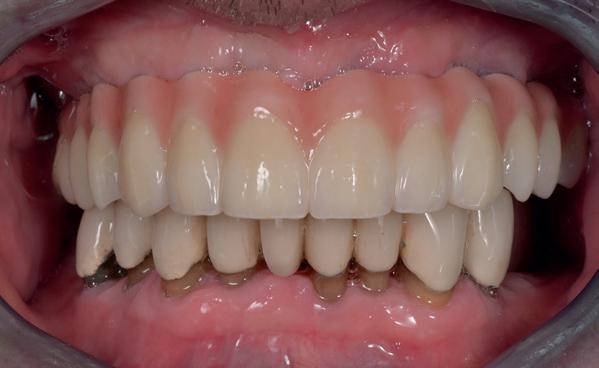
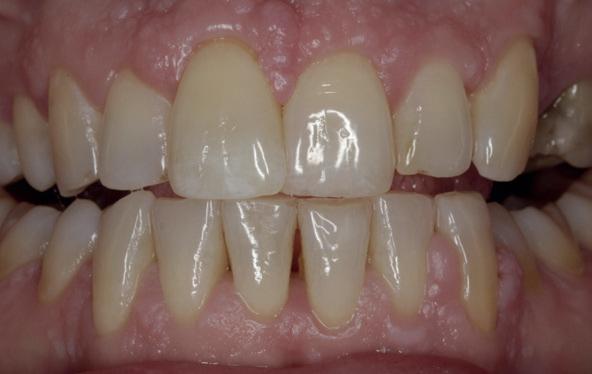
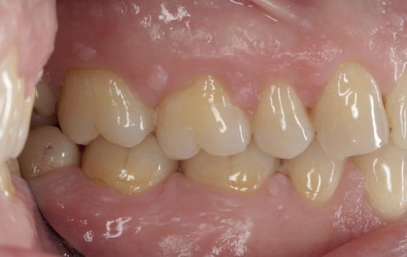
De technicus leverde op basis van de tijdelijke brug, de vast brug op implantaten af. Deze is van volledig zirkoonoxide met een titanium frame aan de binnenzijde voor de stevigheid (afbeelding 16-18). Een volledige brug van alléén zirkoonoxide is namelijk fractuur gevoelig. Na verwijderen van de tijdelijke brug kon de mondhygiëne van de patiënt gecontroleerd worden bij de implantaten. Patiënt hield het netjes schoon met een elektrische tandenborstel en een waterpik. Het is van belang dat de brug zonder spanning op zijn plek geduwd kan worden en deze niet kan kantelen op de abutments. Na het plaatsen van de brug werden de schroefjes getorqued op 15 Ncm, waarna de esthetiek, occlusie en articulatie gecontroleerd konden worden.

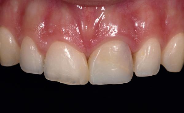
Daarna werden de schroefgaten gevuld met Blue M gel, teflon tape en composiet (afbeelding 19 en 20). Patiënt was zich zeer tevreden met het functionele en esthetische eindresultaat (afbeelding 19 en 20). Er was ook een nette hoektand en frontgeleiding. Voor de fonetiek werd een filmpje opgenomen, de F en de S werden netjes uitgesproken (afbeelding 21). De patiënt vervolgt zijn parodontale nazorg bij de mond-

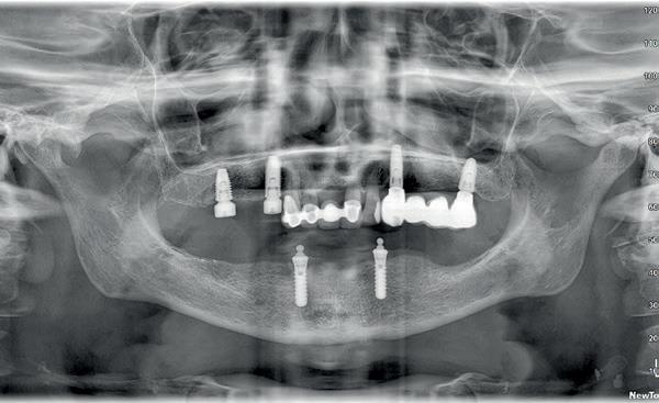
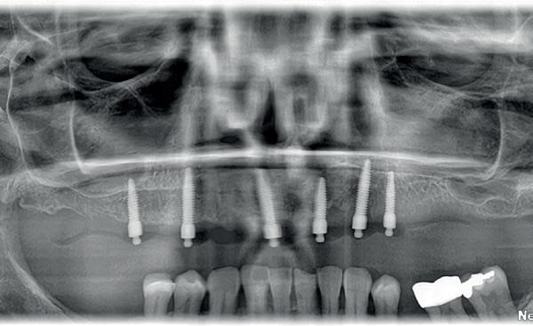
hygiënist waarbij ook de mondhygiëne bij de brug wordt gecontroleerd. Op de OPT na 2 jaar (afbeelding 22) is het botniveau rondom de implantaten stabiel en is patiënt tevreden met zijn vaste brug.

De auteur

Irfan Abas (ACTA, 2008) is een restauratief tandarts (NVVRT-erkend) en tandartsimplantoloog (NVOI-erkend) met ruime klinische ervaring. Hij is oprichter en partner van een verwijspraktijk in Bussum, waar hij zich richt op hoogwaardige restauratieve en implantologiebehandelingen (tandartsabas. nl). Naast zijn klinische ervaring, heeft Abas 22 klinische artikelen gepubliceerd. Hij heeft ook zijn eigen succesvolle opleidingsinstituut opgericht in 2019, de Abas Implant Academy, waar hij tandartsen opleidt in veilige en effectieve orale implantologie. Inmiddels hebben meer dan 160 tandartsen deelgenomen aan de Abas Implant Academy.

22. Controle OPT na 2 jaar
21. Portretfoto na 2 jaar

Neem jij de volgende stap?

Abas Implant Academy biedt een volwaardige 8-daagse opleiding in de moderne implantologie aan. Ruim 160 tandartsen hebben al deelgenomen.

Ons vernieuwde programma biedt een uitgebreid curriculum aan (incl. 3 moduleboeken).

Module 1

Indicatie, planning, prothetiek & de medische gecompromitteerde patiënt

Module 2

Basis chirurgie, anatomie & hechttechnieken

Module 3

Basis implantologie: flap, osteotomie & plaatsen implantaat

Module 4

Implantologie in de edentate boven- en onderkaak

Module 5

Gevorderde implantologie: botopbouw, membranen, periost mobiliseren, piëzo-elektrochirurgie, sinusbodem elevatie, ridgesplit en gebruik van Plateled Rich Fibrine

Module 6

Tijdstip van implanteren, fronttandvervanging, esthetiek, immediaat implanteren, immediaat belasten en socketshieldtechniek

Module 7

CBCT diagnostiek & planning, guided surgery middels R2

Module 8

Tweede fase technieken, gekeratiniseerde mucosa, bindweefseltransplantaten, behandeling van infecties rondom implantaten, tariefstelsel & complicaties

Praktijkervaring opdoen in Mexico?

Na de opleiding implantologie kun je onder begeleiding van onze instructeurs zelf 4 dagen live patiënten behandelen. In 2024 hebben we in slechts 4 dagen variërend tussen de 15 en 23 implantaten geplaatst per tandarts.

MONDHYGIËNE

De kunst van gezond tandvlees rondom implantaten

De afgelopen jaren is er veel veranderd in de wereld van implantologie. Waar implantaten vroeger vooral werden geplaatst bij mensen met een volledige prothese om de functionaliteit te verbeteren, zien we tegenwoordig steeds meer patiënten waarbij één enkel element is vervangen door een implantaat. Dit biedt een prachtige mogelijkheid om de dentitie intact te houden, maar het brengt ook uitdagingen met zich mee waar niet iedereen zich bewust van is.

Een patiënt die mij altijd is bijgebleven was een vrouw van 70 jaar. Ze had een edentate onderkaak met twee implantaten. Ze kwam bij mij met klachten over haar tandvlees rondom de implantaten. Het zag er ontstoken en onrustig uit, en ze vertelde dat het vanaf het begin al niet goed aanvoelde. Tot haar grote verbazing hoorde ze van mij dat ook rondom implantaten ontstekingen kunnen ontstaan. Dit was voor haar een openbaring, want ze dacht: een implantaat is nep, dus daar kan niets mis mee gaan. Maar net zoals een kunstheup of -knie vatbaar kan zijn voor infecties, geldt dat ook voor implantaten.

Voorkomen is beter dan genezen

Om ontstekingen rondom implantaten te voorkomen, zijn een aantal zaken cruciaal. Allereerst natuurlijk: de mondhygiëne. Goed poetsen is essentieel, maar dan wel met een tandpasta die niet abrasief is (RDA-waarde onder de 70). Implantaten hebben meestal een titanium of zirkonium oppervlak

dat speciaal is ontworpen om goed in het bot vast te groeien (osseointegratie) en bacteriegroei te minimaliseren. Abrasieve tandpasta kan dit oppervlak beschadigen, waardoor bacteriën zich gemakkelijker kunnen ophopen en ontstekingen kunnen veroorzaken.

De gingiva rondom implantaten is vaak gevoeliger dan het tandvlees rondom natuurlijke elementen. Abrasieve tandpasta kan bij intensief poetsen irritatie veroorzaken en het risico op peri-implantitis verhogen.

Leefstijl als sleutel tot succes

Een gezonde leefstijl speelt ook een belangrijke rol bij het behoud van implantaten en een gezond parodontium, en is noodzakelijk voor een goede immuunfitheid. Deze immuunfitheid helpt het lichaam beter om te gaan met de bacteriën in de biofilm rondom implantaten, waardoor de kans op peri-implantitis afneemt.

Oxygenate to regenerate

Oxygen treatment: from chairside to home care solutions.

body-friendly healing of soft tissue and oral wounds.

• accelerates and enhances wound healing

• e icient control of red complex bacteria and biofilm

• as e ective as CHX

• a safer alternative to traditional antiseptics

• widely validated, researched and documented

• used by clinicians worldwide

Research, studies and more info at bluemcare.com/implants

blue®m is available via your dental distributor

#1 in Implant Care

Een gezonde leefstijl omvat meer dan alleen goede voeding. Het gaat ook om stressmanagement, voldoende slaap en regelmatige lichaamsbeweging. Als mondzorgprofessionals hebben we een belangrijke rol in het informeren van patiënten over deze leefstijlfactoren.

Voedingsstoffen en de immuunfitheid

Wanneer ik hierover praat met mijn patiënten, vraag ik hen vaak naar hun eetgewoonten. Voor een optimaal werkend immuunsysteem zijn bepaalde voedingsstoffen onmisbaar, waaronder:

• Omega 3-vetzuren ondersteunen het ontstekingsproces.

• Vitamine D reguleert het immuunsysteem en in combinatie met vitamine K speelt het een rol bij botgezondheid.

• Vitamine C bevordert onder andere de wondgenezing.

• Voedingsvezels dragen bij aan een gezonde darmflora, wat het immuunsysteem ondersteunt. Tegelijkertijd zijn er factoren die juist een negatief effect hebben. Suikers verzwakken het immuunsysteem aanzienlijk, en frisdrank is vaak een grote boosdoener. Door de consumptie van frisdranken te beperken, kan al veel winst worden behaald. Ook alcoholgebruik en rookgedrag hebben een negatieve

Gezond tandvlees

invloed op de gezondheid van het tandvlees en moeten daarom bespreekbaar worden gemaakt.

Meer dan schoonmaken alleen

Het succes van implantaatbehandelingen vraagt om een multidisciplinaire aanpak. Als tandheelkundig team kunnen we onze patiënten meer bieden dan alleen instructies over reiniging. Door aandacht te besteden aan leefstijl, voeding en algehele gezondheid, dragen we bij aan het succes van implantaten op de lange termijn.

Implantaten zijn een mooie oplossing, maar het behoud ervan vraagt om een gezamenlijke inspanning van zowel de zorgverlener als de patiënt. Zo zorgen we niet alleen voor gezonde implantaten, maar ook voor gezonde, lachende patiënten.

De auteur

Yvonne Kort is mondhygiënist, vitaliteitstherapeut en hypnotherapeut. Naast haar werkzaamheden bij Kuypers Mondzorg en DentalCare praktijk voor mondhygiëne, heeft zij haar eigen praktijk voor hypnotherapie, is ze auteur en geeft ze trainingen.

Flexibele oplossingen & minimaal invasieve behandelingen

Implantologie bij oudere patiënten

De gemiddelde leeftijd van patiënten neemt als gevolg van de vergrijzing steeds meer toe. Doorgaans ontstaan vanaf middelbare leeftijd, na opeenvolgende tandheelkundige behandelcycli, de meeste indicaties voor implantologische vervanging van uitbehandelde elementen. Door sommige prominente collega’s, zoals Zuhr en Hürzeler, wordt zelfs geadviseerd om implantologie indien enigszins mogelijk bewust uit te stellen tot de tweede helft van iemands levensloop, vanwege het dan beter matchen van de levensverwachting van een implantaat met die van de patiënt zelf. Hierdoor verschuift de implantologie geleidelijk naar patiënten op steeds hogere leeftijd. Maar tot welke leeftijd is het nog geïndiceerd om te implanteren en wat zijn de consequenties van een zeer hoge leeftijd voor een implantologische behandeling?

Leeftijd geen contra-indicatie

Bij patiënten op hoge leeftijd is de biologische leeftijd veel relevanter dan de chronologische leeftijd. Ouderdom op zichzelf is daarom geen contra-indicatie voor implantologie. De algehele conditie (biologische leeftijd) kan wel duidelijke beperkingen met zich meebrengen waarmee rekening moet worden gehouden bij een chirurgische en implantologische behandeling.

De juiste keuzes

Met het vorderen van de leeftijd verdienen weinig invasieve behandelingen met een gering weefsel-

trauma gaandeweg de voorkeur. Wanneer een uitgebreide chirurgische behandeling noodzakelijk is voor het plaatsen van implantaten, vraagt dit om een zorgvuldige afweging. Het is van belang dat geanticipeerd wordt op toekomstige veranderingen in de conditie van de oude patiënt. Dit vereist een doordachte- en op maat gesneden aanpak, die rekening houdt met toenemende kwetsbaarheid. Dat geldt in het bijzonder bij het plaatsen van implantaten ten behoeve van kroon- en brugwerk. Het is belangrijk om de implantaten daarbij zo strategisch mogelijk te positioneren, zodat in de toekomst hierop ook een uitneembare voorziening kan worden gemaakt. Prothetische voorzieningen moeten vooral bij ouderen eenvoudig te reinigen zijn. Ongecompliceerde behandelingen met een gering weefseltrauma hebben

bij ouderen de voorkeur, omdat wondgenezing vaak langer duurt en de coöperatie bij langdurige complexe behandelingen afneemt. Korte implantaten en mini-implantaten blijken in toenemende mate in deze behoefte te kunnen voorzien, doordat aanvullende chirurgische ingrepen zoals een sinusbodemelevatie of een botopbouw hiermee worden vermeden. Co-morbiditeit en systeemziekten komen op hoge leeftijd veel voor. De meeste systeemziekten hebben echter weinig of geen invloed op het slagingspercentage en de overleving van implantaten. In dit overzichtsartikel zullen naast de medische conditie ook andere aspecten die relevant zijn bij chirurgische en implantologische behandelingen van (extreem) oude patiënten kort worden besproken zoals antibioticaprofylaxe en pijnmedicatie.

Geen onder- of overbehandeling

Bij de implantologische behandeling van patiënten op hogere leeftijd zijn onder- en overbehandeling de grootste valkuilen. Onderbehandeling komt vaak voort uit ongegronde angst bij de zorgverlener en depriveert zo de patiënt soms onterecht van toegevoegde kwaliteit van leven door het nalaten van een zinvolle behandeling met een goede prognose [Schimmel et al. 2018;Takahashi et al. 2022; Hottel and Chirla 2023] Overbehandeling ontstaat juist wanneer een zorgverlener onvoldoende rekening houdt met specifieke kenmerken van een oudere patiënt. Zo verloopt het genezingsproces bij ouderen gemiddeld trager, is het fysieke- en mentale aanpassingsvermogen soms beperkt, is de afweer afgenomen en daarmee de infectiegevoeligheid navenant toegenomen. Ook is de botkwaliteit soms slechter (zachter bot, lagere mineralisatiegraad). Met het verstrijken van de jaren is de doorbloeding van de harde en zachte weefsels als gevolg van atherosclerose vaak achteruitgegaan. Bij ouderen zijn er dus veel redenen om terughoudend te zijn met het combineren van verschillende chirurgische ingrepen en is het zaak om niet de tolerantiegrenzen op te zoeken. Juist bij ouderen geldt het principe ‘one miracle at a time’

Evaluatie medische aspecten

Een hoge (chronologische) leeftijd is beslist geen contra-indicatie voor implantologie of pre-implantologische chirurgie. Een slechte algehele conditie (biologische leeftijd) kan daarentegen duidelijke beperkingen met zich meebrengen ten aanzien van

een chirurgische/implantologische behandeling. Bij oudere patiënten moet een zorgverlener die een invasieve behandeling overweegt zorgvuldig te werk gaan en zijn er diverse aspecten die specifieke aandacht verdienen.

Medicatie inventariseren - Allereerst moet het medicatiegebruik in kaart worden gebracht. Wanneer al veel medicatie wordt gebruikt (polyfarmacie), is de kans op interacties met de door u voorgeschreven medicatie groter. Bij chirurgische behandelingen is met name het gebruik van orale anticoagulantia en bisfosfonaten relevant. Er zijn verschillende soorten anticoagulantia, welke elk om een specifiek beleid vragen (zie ‘Peri-operatieve medicatie’).

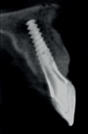
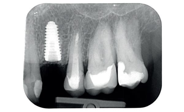
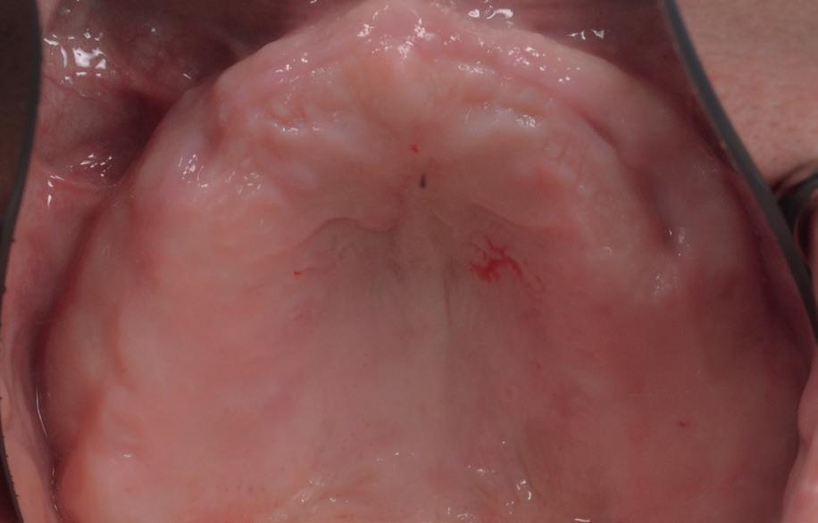
Bisfosfonaten worden gebruikt als therapie voor osteoporose en bij sommige vormen van kanker. Bij osteoporose betreft dit doorgaans de orale toedieningsvorm (tabletten). Als therapie voor botmetastasen van sommige vormen van kanker (zoals mamma- of prostaatcarcinoom, morbus Kahler) worden bisfosfonaten intraveneus toegediend. Een ongewenste bijwerking van bisfosfonaten is osteonecrose van het kaakbot, ook wel bekend als ‘medication related osteonecrosis of the jaw’ afgekort tot MRONJ. Dit manifesteert zich met een dehiscentie van de orale mucosa en necrose van het onderliggende kaakbot. Deze conditie is vaak zeer lastig behandelbaar en kan progressief van aard zijn, leidend tot soms zeer ernstige beschadiging van de kaak. Op een OPT lijkt het bot ‘aangevreten’ te zijn (afbeelding 1). Als regel kan worden gesteld dat bij kortdurend gebruik (korter dan 3-5 jaar) van orale bisfosfonaten het risico op MRONJ door een implantologische behandeling relatief klein is. Een veel hoger risico bestaat met name bij de intraveneuze toedieningsvorm. Bij intraveneus gebruik moet daarom nadrukkelijk de afweging worden gemaakt of een electieve implantologische behandeling wel opweegt tegen een reëel risico op het optreden van MRONJ met een potentieel zeer ongunstige verloop. Indien de noodzaak van behandeling toch opweegt tegen de risico’s is een doorverwijzing naar de tweedelijn aan te bevelen.

Systeemziektes - Het achteruitgaan van de algemene conditie vormt bij geriatrische patiënten een reëel risico bij implantologische ingrepen. Aandoeningen die vaak worden benoemd als een risicofactor in de implantologie zijn hart- en vaatziekten, diabetes mellitus, obesitas, osteoporose, maligniteiten, rheumatische ziekten en slechte voedingsstatus. Deze condities en de medicatie die hiervoor wordt gebruikt, kunnen de implantologische chirurgie, de

wondgenezing, de botaanmaak alsook de lange termijn resultaten negatief beïnvloeden. Om deze redenen wordt het aanbevolen om voorafgaand aan een implantologische behandeling de medische conditie in kaart te brengen. In de literatuur wordt overigens zeer uiteenlopend gerapporteerd over de mogelijke negatieve effecten van verschillende systeemziekten. In een systematic review worden met name slecht gereguleerde diabeters mellitus en obesitas in verband gebracht met afgenomen resultaten [Sbricoli et al 2022]

Belastbaarheid en adaptatievermogen - Sommige behandelingen verdienen bij oudere patiënten duidelijk de voorkeur boven andere, vanwege een veel geringer weefseltrauma of vanwege een minder ingrijpend wijzigen van de situatie in de mond. Om deze reden moeten korte, dunne, lange of op maat gefabriceerde implantaten worden overwogen, als alternatief voor een uitgebreide augmentatieprocedure.

Anticiperen op toenemende kwetsbaarheid - Behandelkeuzes vragen om een zorgvuldige afweging van bovenstaande factoren. Daarnaast is het belangrijk om de mogelijkheden tot adequate zelfzorg en mondverzorging goed te beoordelen, met name bij sommige veel voorkomende aandoeningen zoals parkinson, alzheimer, rheumatoide arthritis en hemiparese na een CVA. Ook wanneer ten tijde van het opstellen van een behandelplan nog sprake is van adequate zelfzorg, moet bij deze diagnoses terdege rekening worden gehouden met een mogelijke verslechtering van de zelfzorg in de nabije toekomst. Zo kan door het optreden van een CVA met uitvalsverschijnselen de zelfzorg opeens sterk worden gecompromitteerd. De reinigbaarheid van een implantaatgedragen vaste constructie verdient bij geriatrische patiënten om deze reden standaard de hoogste prioriteit. Wanneer de implantaten strategisch zijn gepositioneerd kan, omwille van onvoldoende zelfzorg, een vaste prothetische constructie worden getransformeerd naar een goed reinigbare uitneembare constructie met een eenvoudige mesostructuur. Meer details hierover leest u in de paragraaf ‘behandelstrategie’.

Alternatieve opties bij atrofie

Uitgebreide kaakatrofie kan optreden wanneer sprake is van een langdurig edentate situatie. Door extreme resorptie van de mandibula en/of de maxilla, is er soms zeer weinig botvolume beschikbaar voor het

inbedden van implantaten ter ondersteuning van een uitneembare prothetische voorziening. Afhankelijk van het type atrofie (horizontaal of verticaal botverlies) zijn er ook bij sterke kaakatrofie toch vaak nog relatief eenvoudige implantologische oplossingen die u kunt overwegen. Want juist bij patiënten op zeer hoge leeftijd geld het adagium ‘less is more’.

Verticaal botverlies & korte implantaten - De resorptie treedt soms overwegend verticaal op, waardoor de processus alveolaris geheel verdwijnt en er slechts een minimale hoeveelheid basaal/ residuaal bot overblijft. In de mandibula kan dit leiden tot een zeer lage kaak, met mediane kaakhoogtes tot nog maar 4-5 mm (potlood dikte!). Voorheen werd hier een transmandibulair implantaat geplaatst, omdat werd geanticipeerd op breuk [Powers et al, 1994], of werd gekozen voor het verticaal opbouwen van de mandibula: de klassieke absolute kaakverhoging. Tegenwoordig wordt het plaatsen van twee of vier korte implantaten met een lengte van slechts 4-8 mm beschouwd als een goed alternatief voor een augmentatie van de onderkaak (afbeelding 2). Dit scheelt aanmerkelijk in de belasting van de patiënt (minder ingrepen, geen narcose, kortere behandelduur, minimale morbiditeit) en levert goede resultaten op [Vazouras K et al, 2020; Telleman G, et al. 2013; Renouard F and Nisand D. 2006; Guljé F et al. 2012]

Horizontaal botverlies en mini-implantaten - Een geheel andere anatomische situatie ontstaat bij een meer horizontaal resorptiepatroon. Hierbij blijft de kaakhoogte vrijwel volledig intact, maar neemt de dikte van de processus alveolaris af tot een minimum van slechts enkele millimeters. Indien sprake is van een dergelijke zeer dunne processus alveolaris in de maxilla of mandibula, kan ervoor worden gekozen om gebruik te maken van mini-implantaten (implantaten met een diameter < 2.5 tot 3 mm, afbeeldingen 3a-b), als alternatief op een chirurgische kaakverbreding door middel van ‘buccal plating’ met een autoloog bottransplantaat. Het gebruik van mini-implantaten bespaart de patiënt pre-implantologische chirurgie, lange behandelduur, morbiditeit en de noodzaak tot herhaalde aanpassingen van de prothese. Door mini-implantaten flapless te plaatsen wordt de morbiditeit tot een minimum gereduceerd. Hiervoor is echter wel 3D-planning vooraf een vereiste alsook statische navigatie bij het plaatsen door middel van een dwingende boormal, vanwege de zeer geringe marges (zie casus, afbeeldingen 4a-q ). Een bijkomend voordeel van mini-implantaten is, dat ze uit één geheel bestaan en standaard zijn voorzien van

1. Necrotisch bot in het 4e kwadrant, na een ongecompliceerde extractie

2. Kaakhoogte van 7 mm, twee tissuelevel implantaten van 7 mm lengte geplaatst (Nobel Biocare, Replace Select TC)

3a. Uitgesproken knife edge ridge, ongeschikt voor reguliere implantaten

3b. Peroperatief beeld na gering

verlagen processus en plaatsen 4 mini-implantaten van Bredent (minisky1) 2.8 mm diameter

4a. Navigatie chirurgie met een dwingende boormal

4b. Na plaatsen wordt de boormal gefixeerd met ‘anchor pins’

4c. Voor mini-implantaten hoeft slechts één keer te worden geboord

4d. Uitnemen boormal na het ‘blind’ prepareren van het implantaatbed

een drukknopje. Hierdoor kan in een laatste levensfase eenvoudig nog een overkappingsprothese worden aangepast of vervangen, ook wanneer er geen aanvullende informatie meer beschikbaar is over het implantaatmerk, type en diameter. Mini-implantaten laten goede succes- en overlevingspercentages zien [Bidra en Almas 2013; Shatkin 2012; vanDoorne et al 2020; vanDoorne et al 2021]

voor alle implantaten

4e. Mini-implantaat (Southern Implants, ILZ12D), diameter 2.4 mm

4f. Flapless plaatsen van het 1e implantaat

4g. Door het genavigeerd prepareren is het plaatsen van de implantaten kinderlijk eenvoudig

4h. Direct postoperatief na flapless aanbrengen van 6 mini-implantaten

Horizontaal en verticaal botverlies - De meest uitdagende situatie is wanneer sprake is van extreme botresorptie in zowel horizontale als verticale richting. In dergelijke complexe situaties kan worden gekozen voor het ondersteunen van een overkappingsprothese in de bovenkaak met zeer lange implantaten, welke op afstand worden verankerd in het os zygomaticus (zygoma implantaten, afbeelding 5) of in de pterygoid plaat (pterygoid implantaten). Ook

4i. Implantaat planning in DTX software

4j. Virtuele gingiva kan alleen worden berekend met een goed aanliggende scanprothese

4k. Maximale spreiding van de implantaten wanneer geen augmentatie wordt verricht

4l. Divergentie van de smalle processus veroorzaakt onderlinge

divergentie, dit wordt met 12 graden angulatie van de drukknopjes gecorrigeerd 4m. Geplande implantaatpositie regio 23, waarbij rekening wordt gehouden met de smalle processus, de dikte van de gingiva en met de beschikbare ruimte voor een matrix in de prothese; onderlinge paralleliteit door angulatie drukknopje

kan worden gekozen voor een op maat gemaakt subperiostaal implantaat (AMSJI, afbeelding 6) [vandenBorre et al 2022]. In dergelijke situaties is een doorverwijzing naar een gespecialiseerde tweedelijns kliniek noodzakelijk.

Contourdefecten - Esthetische contourdefecten of ‘black triangles’ in een betande situatie vragen op zeer hoge leeftijd slechts incidenteel om chirurgische correctie. Doordat de lachlijn steeds lager komt te liggen met het toenemen van de leeftijd, verbergt de bovenlip steeds meer tandmateriaal, waardoor de gingiva en de interdentale ruimtes niet zichtbaar zijn. Terughoudendheid op dit punt is daarom meestal gerechtvaardigd.

4n. Fusie van scanprothese en CBCT van de maxilla voor backward planning van implantaatposities

4o. De scanprothese is de setup van waaruit de boormal wordt gemaakt 4p. Ontwerp van de boormal in DTX software 4q. OPG postoperatief

Plastische chirurgie

Ongunstige uitgangssituaties door eerdere behandeling - Als er sprake is van langdurige tandeloosheid, dan bestaat er een gerede kans dat in het verleden een pre-prothetische chirurgische operatie is uitgevoerd om de mechanische retentie van de gebitsprothese te verbeteren. Een populaire ingreep, daterend uit de periode dat implantologie nog geen gemeengoed was, is de mondbodemvestibulum plastiek. De hierbij aangebrachte huidgraft geeft beperkingen voor het plaatsen van implantaten en vraagt om een specifieke aanpak.

Mondhoek problemen - Door progressief verticaal botverlies (dus beethoogteverlies) en tonusverlies van de perorale musculatuur kan sterke plooivor4q

5. Verankering op afstand met zygoma implantaten (afbeelding Dr. J. Pijpe)

6. Subperiostaal implantaat (AMSJI)

voor verankering op het oppervlak van de maxilla bij extreme atrofie

7. Na verlies van de bovendentitie resteert een onbruikbaar implantaat

ming in de mondhoekregio optreden. Dit kan diverse problemen veroorzaken: mondhoek insufficiëntie, chronische mondhoekragaden (candida) en negatieve gelaatsexpressie. Met een relatief beperkte chirurgische ingreep, een mondhoeklift, kan dit probleem goed worden behandeld.

Peri-operatieve medicatie

Antibioticaprofylaxe - Voor de indicatie van het toedienen van antibioticaprofylaxe verwijs ik naar de binnenkort te verwachten antibiotica richtlijn van het KiMo (zie www.hetkimo.nl). Als je de inschatting maakt dat er sprake is van een enigszins verhoogd risico op infecties of complicaties, valt een eenmalige antibiotica gift één uur voor de behandeling sterk te overwegen (2 gr amoxicilline of 600 mg clindamycine).

Anticoagulantia - Standaardregel is dat het tijdelijk aanpassen of onderbreken van anticoagulantia altijd in overleg dient te gebeuren met de voorschrijvende arts (huisarts, of medisch specialist). In sommige gevallen mag het niet zomaar worden onderbroken. Sommige middelen kunnen bij de meeste ingrepen zorgeloos doorgebruikt worden, andere type anticoagulantia moeten afhankelijk van het type één of meerdere dagen voor de ingreep worden onderbroken. Voor de details en een passend beleid bij specifieke stollingsmedicatie zijn door het KiMo landelijke

8. Door de dentitie per sextant te herstellen komen de implantaten op strategische posities

richtlijnen opgesteld (Antitrombotica van het KiMo: www.hetkimo.nl of zie www.allesoverstolling.nl).

Analgetica - De eerste keus als pijnmedicatie voor oudere patiënten is paracetamol, tot maximaal vier keer daags 1 gram. Voor alle oudere patiënten geldt dat voorzichtigheid is geboden met het voorschrijven van NSAID’s (zoals ibuprofen, naproxen, diclofenac), vanwege de risico’s op complicaties (maagulcus, nierschade) en de mogelijke interactie met andere medicatie.

Zorgrichting en behandelstrategie

Welke zorgrichting - Bij het opstellen van een implantologisch plan voor het herstellen van een enkelvoudig of meervoudig diasteem, is het belangrijk om rekening te houden met de conditie en de prognose van de resterende dentitie. Zo zal een goed behandelplan altijd aansluiten bij de zorgrichting (behoud functie met eigen dentitie, of afbouw naar volledige prothese/ overkappingsprothese). Zo is het niet doelmatig om een enkeltandsdefect in het front met een implantaatgedragen kroon te behandelen in een dentitie, waarin de zorgrichting ‘afbouw’ is. Dit is geen doelmatige zorg en onnodig kostbaar. Daarnaast staat een implantaat in de premaxilla doorgaans niet op de juiste plaats om gebruikt te kunnen worden als één van de pijlers voor een overkappingsprothese (afbeelding 7), doordat het buccopalatinale

Explore & Learn.

Programma 2025

WOENSDAG 30 APRIL T/M ZATERDAG 3 MEI 2025

PUENTE COLGANTE BOUTIQUE HOTEL

MARTA ILIK, MICHIEL LIESHOUT & EDUARDO SETIEN

Baskenland 2025

WOENSDAG 11 JUNI T/M ZATERDAG 15 JUNI 2025

GOLFHOTEL QUINTA DA MARINHA ***** - CASCAIS

ALWIN VAN DAELEN & ROLF VAN MIERLO

Portugal 2025

Bestel onze nieuwe brochure!

Ook dit jaar nemen we je graag mee op een reis vol wetenschap, vakinhoudelijke verdieping en avontuur. In de brochure vind je:

• alle reizen van 2025

• een interview met de Raad van Advies

• een sfeerimpressie en

• een vooruitblik op de reizen van 2026

We zien je graag bij een van onze congressen!

Benieuwd naar ons volledige congres aanbod voor 2025?

MICHIEL LIESHOUT
EDUARDO SETIEN
MARTA ILIK
ROLF
ALWIN VAN DAELEN
VAN MIERLO

resorptiepatroon van een edentate maxilla ertoe leidt dat het implantaat geleidelijk voor de processus komt te staan. Ook wordt de frontopstelling in de prothese hierdoor onnodig gedicteerd. Deze ongewenste prothetische situaties kunnen door strategisch indiceren worden voorkomen.

Initiële behandelfase geeft duidelijkheid - Als er twijfel bestaat over de zorgrichting (‘behoud’ versus ‘geleidelijke afbouw’) kan meer duidelijkheid worden verkregen door tijdens een initiële behandelfase eerst alle complicerende factoren in de dentitie te behandelen (apicale pathologie, cariës, parodontale problemen, attritie en beethoogteverlies). Indien deze behandeling succesvol is verlopen en tot een stabiel resultaat heeft geleid, kan na deze initiële behandelfase binnen de zorgrichting ‘behoud van eigen dentitie’ een implantologisch plan worden uitgerold. Wanneer de initiële behandelfase gekenmerkt wordt door tegenvallend resultaat of een gecompliceerd verloop, is een uitneembare voorziening en de zorgrichting ‘geleidelijke afbouw’ de juiste keuze en zullen implantaten pas op termijn van nut zijn voor de retentie van een gebitsprothese.

Switchen - De filosofie over implanteren binnen de kaders van een zorgrichting steunt op de gedachte dat een zorgvuldig vastgestelde zorgrichting min of meer permanent van karakter is. Op hoge leeftijd kunnen echter binnen korte tijd (onvoorziene) veranderingen in de fysieke of mentale conditie optreden (zoals cognitieve achteruitgang door alzheimer, verlamming na een hersenbloeding of een ernstige tremor door parkinson). De zelfzorg kan daardoor in korte tijd sterk afnemen, waardoor de conditie van de dentitie snel verslechtert en de kwetsbaarheid en zorgafhankelijkheid toeneemt. Deze kwetsbaarheid van oudere patiënten betekent dat het verstandig is om, tijdens het maken van een implantologisch behandelplan, alvast rekening te houden met de mogelijkheid dat binnen afzienbare tijd de zorgrichting ‘behoud’ moet worden bijgesteld naar ‘afbouw’ en toch een gebitsprothese moet worden gemaakt. Dit vraagt om de optie ‘switchen van zorgrichting’ mee te nemen in de behandelstrategie en te kiezen voor strategische posities van de implantaten. Daarmee wordt flexibiliteit ingebouwd en een behandelplan gemaakt dat past binnen de zorgrichting ‘behoud’, maar ook bruikbaar is in een naar ‘afbouw’ bijgestelde zorgrichting.

Strategisch positioneren - Als voorbeeld zijn im-

plantaten, geplaatst op de posities C-P1 en M1 ter ondersteuning van een drie- of vierdelige implantaatbrug in de bovenkaak, ook goed bruikbaar voor een staafconstructie of drukknoppen en een overkappingsprothese. Hetzelfde geldt voor implantaten op de positie van de cuspidaten in de onderkaak. Deze strategie betekent dat uitgebreide gebitsrehabilitaties op oudere leeftijd idealiter per sextant worden uitgevoerd met brugconstructies op twee implantaten (afbeelding 8). Door per sextant falende gebitselementen te vervangen door implantaat gedragen kroon- en brugwerk, kan bij verder gebitsverlies steeds een volgend sextant worden behandeld met implantaten, totdat eventueel een wijziging optreedt in de zorgrichting. Wanneer de zelfzorg op enig moment niet meer toereikend is voor het onderhouden van een eigen dentitie, staan de implantaten in de meeste gevallen dan op bruikbare posities en kunnen vaste brugconstructies eenvoudig worden vervangen door mesostructuren en overkappingsprotheses. Soms zal hierbij een enkel implantaat moeten worden toegevoegd of verwijderd voor een optimale mesostructuur [Schimmel et al 2018]

Verdieping

Indien je meer wilt lezen over dit onderwerp, zoals over specifieke details van de chirurgische procedures (techniek van de mondhoeklift, verwijderen van een transmandibulair implantaat, ongedaan maken van een vestibulumplastiek, etc.) of juist meer algemeen over gerodontologie, verwijs ik u naar het komende NVOI Bulletin (themanummer ‘de oude patiënt’, verschijningsdatum april 2025) en naar het binnenkort te verwachten leerboek over levensloop bestendige tandheelkunde.

De auteur

Dr. Wouter Kalk, MKA-chirurg & NVOI-implantoloog Centrum Bijzondere Implantologie Heerenveen.

Referenties

De literatuurlijst is op te vragen bij de redactie en in te zien bij het artikel online op www.dentista-magazine.nl

ASSISTEREN

Voorbereidingen bij implantologie

Een implantologie behandeling biedt een duurzame en functionele vervanging voor verloren elementen. Het vereist uitgebreide voorbereiding om deze behandeling tot een succes te maken. Voorbereidingen die in handen zijn van de implantologie assistent. Waar moet je op letten? Ervaren assistenten Jacqueline en Noortje zetten het voor je op een rij.

De eerste stap in het proces is een consultatie bij de tandarts of implantoloog. Tijdens dit gesprek wordt onderzocht wat de mogelijkheden zijn voor de betreffende patiënt met betrekking tot het plaatsen van één of meerdere implantaten. Daarbij wordt onder andere gekeken naar de mondgezondheid, de beet, de algemene gezondheid en uiteraard naar de zorgvraag van de patiënt.

Om een goed beeld te krijgen, zal er een röntgenfoto, OPG of CBCT gemaakt worden. Deze beelden zijn essentieel voor het bepalen van de juiste behandeling en positie van het implantaat.

Als het plan is opgesteld, moet de patiënt goed voorbereid worden. Dit betreft uiteraard het bespreken van de behandelprocedure, uitleg van de bijkomende receptuur en de duur van het gehele traject. Bovendien zal er een kostenoverzicht gemaakt worden, zodat de patiënt niet voor financiële verrassingen komt te staan. Als dit allemaal duidelijk is, kunnen er afspraken worden gepland

Op het moment dat de afspraken gemaakt zijn, is het belangrijk om de behandeling goed voor te bereiden. Het begint met het uitsturen van de juiste receptuur. Daarnaast is het van belang om te zorgen dat de juiste benodigdheden in de praktijk aanwezig zijn. Denk

hierbij aan het bestellen van operatiepakketten, disposables (zoals steriele handschoenen), de juiste implantaten, healing abutments, bot, hechtdraad en de benodigdheden voor de uiteindelijke suprastructuur. Afhankelijk van wat dit wordt, kan je dan denken aan afdrukposts, implantaatanalogen, ti-base voor kroon- en brugwerk, en locators.

Implantologie is een behandeling die langere tijd in beslag neemt. Het is goed om elke keer als de patiënt komt de vervolgstappen samen door te nemen. Het zijn veel stappen en vaak neemt de patiënt uiteindelijk maar 35% op van alle informatie die tijdens de intake wordt gegeven.

Als assistent is het fijn om je drukke werkdag en agendaplanning niet nog stressvoller te maken dan het vaak al is. Daarom is het goed om een dag van tevoren alle benodigdheden al bij elkaar te pakken.

Bij het klaarzetten van een behandelkamer voor implantologie is namelijk veel nodig. Als je dat tussendoor nog bij elkaar moet zoeken, terwijl je ook steriel aan het werk bent, maak je het jezelf niet makkelijker. Zeker niet als je meerdere chirurgische behandelingen op een dag hebt. Zorg dan dat je alle benodigdheden voor elke behandeling afzonderlijk, bijvoorbeeld in een grote plastic bak verzameld.

1-3. Openvouwen van het operatiepakket

4-6. Het benodigde steriele instrumentarium uitpakken

7. Steriele handschoenen aantrekken

8-10. Voorbereiden van de operatietafel

11. Opgedekte operatietafel

12. De behandelkamer staat klaar, de patiënt kan uit de wachtkamer worden gehaald

13. Jacqueline (l) en Noortje (r)

Het voorbereiden van de behandelkamer voor een implantologische behandeling kost tijd, zorg dat je deze tijd in je agenda hebt.

Het klaarzetten van je operatietafel is een secuur werkje. Je werkt aseptisch en steriel, dus bereid je stappen voor zodat dit niet door elkaar loopt.

Als je kamer klaar is, kan de patiënt uit de wachtkamer gehaald worden. Nadat je de patiënt hebt laten spoelen, verdoving hebt toegediend, en hebt ingepakt met een muts en patiëntlaken, kan de implantoloog komen. Als jullie allebei zijn aangekleed in het steriele blauw is de voorbereiding voltooid en kan de behandeling starten.

Wanneer alle voorbereidingen optimaal zijn getroffen, de benodigde materialen aanwezig zijn, het team precies weet wat er van hen verwacht wordt en de

patiënt goed is geïnformeerd, loopt de behandeling als een geoliede machine. Dit zorgt niet alleen voor een ontspannen sfeer, maar ook voor een behandeling die met plezier en passie wordt uitgevoerd. De patiënt voelt daardoor dat hij in goede handen is.

De auteurs

Noortje Veenvliet en Jacqueline van de Zandschulp, implantologieassistenten bij T.X. de Jong Tandzorg. Daarnaast begeleiden zij assistenten tijdens de leergang Academiae Implantologica en geven ze les bij Dental Best Practice.

Antitrombotica, hoe gaan we hiermee om?

In Nederland gebruiken meer dan één miljoen mensen antistollingsmedicatie, ook wel antitrombotica genoemd. In de volksmond heeft men het veelal over ‘bloedverdunners’.

Het uitvoeren van chirurgische behandelingen bij deze patiëntengroep vraagt soms om specifieke voorzorgsmaatregelen. Ondanks vrij duidelijke richtlijnen over de wijze waarop men om dient te gaan met antitrombotica, zien we toch vaak de twijfel toeslaan in de praktijk. In deze editie van Vast & Zeker gaan we dieper in op de verschillende soorten antitrombotica en de consequenties hiervan bij een uit te voeren dento-alveolaire chirurgische behandeling zoals een extractie of een implantologie behandeling.

Normale stolling

In een reguliere tandartspraktijk worden bijna dagelijks kleine chirurgische behandelingen uitgevoerd welke een bloeding tot gevolg hebben. In een praktijk voor implantologie zal het aantal chirurgische ingrepen, en de omvang hiervan, doorgaans wat groter zijn. Bij beschadiging van mucoperiost of botweefsel, bijvoorbeeld als gevolg van een chirurgische extractie, komt direct een kettingreactie op gang die ervoor zorgt dat het bloed op de plaats van de wond gaat stollen. Als gevolg van vrijgekomen stollingsfactoren wordt het eiwit fibrinogeen omgezet in fibrine. Het fibrine vormt draden waarin bloedplaatjes blijven hangen. Zo ontstaat een stolsel en zal de bloeding

stoppen. Een gezonde patiënt beschikt over voldoende fibrinogeen en bloedplaatjes waardoor snel stolling op zal treden. Na het uitvoeren van een extractie of implantaatplaatsing is het naar elkaar toe hechten van de wondranden in combinatie met het aanbrengen van chirurgisch gaas (compressie van circa 30 minuten) dan vaak ook afdoende om een nabloeding te voorkomen. Na het verwijderen van een element is het belangrijk om de alveole altijd grondig te curetteren, ook bij gezonde patiënten. Dit zorgt ervoor dat eventueel aanwezig, hoog doorbloed granulatieweefsel wordt verwijderd. Dit voorkomt langdurig nabloeden en zorgt ook voor een betere genezing.

KIMO-richtlijnen antitrombotica

Op de website van het Kennis Instituut Mondzorg (www.hetkimo.nl) is sinds 2019 de Richtlijn Antitrombotica te vinden. Van iedere tandarts die werkzaam is in Nederland mag worden verwacht dat hij of zij op de hoogte is van het bestaan en de inhoud van deze richtlijn. Het is verstandig de schema’s en tabellen behorend bij de Richtlijn Antitrombotica geplastificeerd of digitaal snel ter beschikking te hebben op elke behandelkamer.

Antitrombotica

Antitrombotica is de verzamelnaam voor medicijnen die van invloed zijn op de stolling van het bloed. Antitrombotica kunnen kort- en langdurig, en in verschillende combinaties worden voorgeschreven bij hart- en vaatziekten en als preventie van trombose. Deze groep valt onder te verdelen in twee hoofdgroepen; namelijk de trombocytenaggregatieremmers (TAR’s) en de anticoagulantia. De groep anticoagulantia valt weer onder te verdelen in de vitamine K-antagonisten (VKA’s), de Directe Orale anticoagulantia (DOAC’s) en de laag moleculair heparine (LMWH). In onderstaande alinea’s zullen we de meestvoorkomende antitrombotica, en het bijbehorend beleid in de mondzorg, bespreken.

Trombocytenaggregatieremmers

TAR’s

Trombocytenaggregatieremmers, ook wel TAR’s genoemd, voorkomen dat bloedplaatjes (trombocyten) aan elkaar klonteren en een stolsel vormen. Het is de minst krachtige groep antitrombotica in het remmen van de stolling.

Enkele bekende TAR’s zijn: clopidogrel (Grepid, Pla-

vix), Persantin, Ticagrelor, carbasalaatcalcium (Ascal), acetylsalicylzuur (Aspirine).

Bij kleine chirurgische behandelingen, zoals een extractie, implantaatplaatsing of een parodontale ingreep, hoeft een patiënt die slechts één type TAR gebruikt, hiermee niet te staken.

Het kan voorkomen dat een patiënt, vaak tijdelijk na plaatsing van een stent, een combinatie van twee TAR´s gebruikt. In deze situatie dient met de voorschrijver overlegd te worden of het veilig is om de medicatie kortdurend aan te passen (bijvoorbeeld tijdelijk staken van één van de TAR’s). Als de behandeling uitgesteld kan worden, heeft dit vanzelfsprekend de voorkeur.

Vitamine K-antagonisten

Het lichaam heeft vitamine K nodig voor de aanmaak van stollingsfactoren in het bloed. Een vitamine K-antagonist remt vitamine K waardoor deze stollingsfactoren minder aangemaakt worden, met het gevolg dat het bloed minder snel zal stollen.

De mate van stolling bij een bepaalde dosering is niet volledig voorspelbaar per patiënt. Er zijn vele factoren die een rol spelen bij de werking vitamine K-antagonisten, zoals een wisselwerking met andere medicatie, diarree, koorts, sterk wisselende lichaamsbeweging, stress en voeding.

Om deze reden dient bij patiënten die vitamine K-antagonisten gebruiken, regelmatig gecontroleerd te worden in welke mate zij “ontstold” zijn. Door bloed te prikken (zelf of bij de trombosedienst) wordt de bloedstollingswaarde bepaald. Deze waarde noemt men ook wel de International Normalised Ratio waarde (INR-waarde). Bij een gezond persoon is de INR-waarde 1. Bij een INR-waarde van 3 is de stolling drie keer langzamer dan bij een INR-waarde van 1. In Nederland worden, afhankelijk van de aan-

1. Curretage alveole
2. Afhechten alveole

doening en reden van voorschrijven, twee groepen streefwaarden gehanteerd:

Groep 1: INR 2,0 – 3,0

• Groep 2: INR 2,5 – 3,5

Er zijn kortwerkende vitamine K-antagonisten, met een halfwaardetijd van circa 11 uur, zoals acenocoumarol. Ook zijn er langwerkende vitamine K-antagonisten, zoals fenprocoumon, met een halfwaardetijd van maar liefst 160 uur.

Het gebruik van een vitamine K-remmer hoeft bij de eerder beschreven kleine chirurgische behandelingen niet gestaakt te worden. Wel dient maximaal 24 uur voor de behandeling de INR-waarde bepaald te worden. Bij een INR-waarde < 3.5 kan de behandeling uitgevoerd worden. Wel kan het verstandig zijn om aanvullende maatregelen te nemen, zoals overhechten van de wondranden (eventueel met een resorbeerbaar wondverband) en het gebruik van een zogenaamde tranexaminezuur mondspoeling. Patiënten dienen geïnstrueerd te worden om de tranexaminezuur zelf voor de ingreep af te halen bij de apotheek en mee te nemen naar de behandeling. Bij een hogere bloedingsneiging, een groter wondgebied of een slecht te hechten wondgebied, kan de tranexaminezuur dan direct na de ingreep op een gaasje worden aangebracht om vervolgens hiermee direct compressie te geven op de wond. Als de INR-waarde > 3.5 is dient de behandeling uitgesteld te worden. In overleg met de trombosedienst kan de INR-waarde dan naar beneden bijgesteld worden.

DOAC’s

Directe Orale Anticoagulantia (DOAC) werken rechtstreeks op de in het bloed aanwezige stollingseiwitten trombine en stollingsfactor Xa. Vroeger werd deze groep anticoagulantia ook wel de Nieuwe Orale Anti Coagulantia (NOAC) genoemd. Deze naam wordt niet meer gebruikt. Er zijn vier soorten DOAC’s: 1.dabigatran (Pradaxa), 2.rivaroxaban (Xarelto), 3.apixaban (Eliquis), 4. edoxaban (Lixiana) Tegenwoordig worden er steeds vaker DOAC’s voorgeschreven. Ze hebben enkele voordelen ten opzichte van de vitamine K-antagonisten. Zo kan bij een DOAC de dosis dagelijks gelijk gehouden worden, werken deze altijd hetzelfde (en is dus geen INR-controle nodig) en is de kans op het ontwikkelen van een hersenbloeding kleiner. Het gebruik van een DOAC hoeft bij de eerder beschreven kleine chirurgische behandelingen niet

gestaakt te worden. Wel is aan te raden om net als bij vitamine K-antagonisten aanvullende maatregelen te nemen, zoals overhechten van de wondranden (eventueel met een resorbeerbaar wondverband) en het gebruik van een zogenaamde tranexaminezuur mondspoeling.

Conclusie

Als tandarts dien je op de hoogte te zijn van de Richtlijn Antitrombotica. Deze zijn volledig terug te vinden, met handige schema’s en tabellen, op de website van het KIMO (www.hetkimo.nl). Wanneer een patiënt alleen één type antitrombotica slikt, zoals een TAR, een vitamine K-antagonist of een DOAC, dan hoeft deze in principe niet gestaakt te worden. Wel kan het verstandig zijn aanvullende maatregelen zoals tranexaminezuur voor te schrijven.

Het is belangrijk om bij het gebruik van een vitamine K-antagonist de INR-waarde voor de ingreep te bepalen, deze dient <3.5 te zijn.

Als een combinatie wordt gebruikt van meerdere TAR’s of een combinatie van een TAR met een DOAC of een vitamine K-antagonist, dient altijd overleg plaats te vinden met de voorschrijver om te kijken of de medicatie kortdurend aangepast kan worden.

De auteurs

Frank Andriessen is werkzaam als tandarts-implantoloog bij het Tandheelkundig Centrum Wilhelminapier (www.tand-implant.nl) in Rotterdam. David Rijkens is werkzaam als tandarts-implantoloog bij Mondzorg Kudelstaart (www.mondzorgkudelstaart.nl).

De Richtlijn Antitrombotica

Scan de QR-code om alle informatie rond deze richtlijn terug te vinden.

Hoe completer hoe beter?

Hij moet eruit. Het ‘vonnis’ is helder, kraakhelder. De tandarts schuift aan voor het periodieke mondonderzoek. Zijn mond is al volledig nagelopen en gereinigd. Samen bespreken we de bijzonderheden. De wensen van de patiënt worden aangevuld met mijn bevindingen en de bevindingen van de tandarts. Nu is de tandarts resoluut, de 36 gaf wat klachten en voor de oorzaak hoeft niet ver gezocht. Het is klaar.

De kies was er al jaren niet best aan toe. Parodontaal behoorlijk uitdagend door zowel de vorm als de ligging. Hij was ook niet de meest handige wat zijn zelfzorg betreft, op zich genomen is hij wel van goede wil met een prima discipline wat de zelfzorg betreft. De vorm en de stand van de 36 leidt nu toch tot een behoorlijke caviteit, net onder de kroonrand. De liefde, aandacht en fluoride applicaties hebben het nog jaren kunnen rekken maar nu is het echt voorbij. De strijd is verloren. Ergens wist hij wel dat deze dag zou komen, we hebben het er

immers elk contactmoment even kort over. En toch komt het als een schok. Hij kijkt ons even vertwijfeld aan. ‘Hij moet eruit, en wat dan?’

De tandarts legt de opties voor. Implantaat, kroon of toch gewoon even niks doen? ‘Misschien kunt u wennen aan een verkorte tandboog.’ Alle opties worden zorgvuldig met voors en tegens gepresenteerd. Alle drie mogen wij ons zegje doen. De patiënt vraagt in eerste instantie wat over de brug. Rechtsboven heeft hij er ook een en dat bevalt hem al jaren. Een brug lijkt mij dan weer niet de beste optie, de premolaar zou een prima pijler zijn maar het parodontium van de 37 is met name distaal niet supersterk. Optie implantaat of niets doen. Ik zie de patiënt in verwarring. Het is ook niet niks.

Wat bedenktijd en een overzicht van bijbehorende kosten is een goede eerste stap. Als de tandarts doorgaat naar de andere kamer praten wij nog even door. Het voelt nu toch wat minder beladen met minder mensen in

Marit Verschuuren, mondhygiënist en trainer van De Cariësvrije Generatie (cariesvrij.nu).

de behandelkamer. Hij vertelt me dat hij eigenlijk nooit overwogen had om geen kies meer te hebben. Hij gaat er thuis nog eens rustig over nadenken.

Die een-tweetjes, of eigenlijk een-twee-drietjes zijn qua agendaplanning voor ons receptieteam soms behoorlijk uitdagend. Toch levert het enorm veel op om intercollegiaal te overleggen waar de patiënt bij is. We combineren onze kennis en expertise met de wensen van de patiënt om zo, samen, tot het beste behandelplan te komen. Eén plus één is in dit geval echt drie. Daar kan geen notitie tegenop.

COLUMN MARIT

INTERVIEW

Frank Andriessen en David Rijkens

Implantologie door de jaren heen

De afgelopen vijftien jaar hebben nieuwe technieken en methoden het werk van implantologen aanzienlijk veranderd. De vraag naar implantologische oplossingen blijft wereldwijd stijgen. Toch brengt deze groei ook uitdagingen met zich mee, zoals de druk om steeds sneller te werken en de invloed van commerciële belangen. Wat zijn de belangrijkste ontwikkelingen binnen de implantologie volgens Frank en David? Welke praktijkinzichten willen ze delen en wat drijft hen om dit vak met zoveel passie uit te oefenen?

Voor deze editie spraken we met twee bevlogen implantologen: Frank Andriessen en David Rijkens. Twaalf jaar geleden prijkten ze al op de cover van de tweede editie van Dentista Magazine. Frank voltooide in 2012 zijn driejarige specialisatie Orale Implantologie en Prothetiek aan het Academisch Centrum Tandheelkunde Amsterdam (ACTA). Hij is eigenaar van het Tandheelkundig Centrum Wilhelminapier in Rotterdam, een verwijspraktijk voor endodontologie, implantologie, restauratieve tandheelkunde en prothetiek. Daarnaast heeft hij zich tien jaar ingezet bij het Consilium van de Nederlandse Vereniging voor Orale Implantologie (NVOI), waar hij zich bezighield met de kwaliteitsstandaarden voor implantologen.

Hij is momenteel actief visiteur voor de NVOI. David volgde eveneens de opleiding Orale Implantologie en Prothetiek (ACTA). Hij is mede-eigenaar van Mondzorg Kudelstaart, een verwijspraktijk voor implantologie, endodontologie, restauratieve tandheelkunde en prothetiek. Daarnaast was hij vijf jaar secretaris bij de NVOI en is nu tevens werkzaam als visiteur voor de NVOI.

Frank en David waren samen twaalf jaar docent en cursusleider van de Masterclass Implantologie aan het ACTA en schreven talloze artikelen over implantologie voor Dentista. Tegenwoordig geven ze de Leergang Implantologie: Vast & Zeker, waarin zij hun

kennis overdragen aan de nieuwe generatie implantologen.

Wat was jullie drijfveer om 15 jaar geleden te beginnen met implanteren?

Frank: “Tijdens de algemene opleiding leer je veel over preventie, controles, wortelkanaalbehandelingen, restauraties, en verdiep je je beperkt in chirurgische vaardigheden. Maar daarna houdt het vaak op. Implantologie bood mij de mogelijkheid om iets nieuws te leren. Ik zag het als een enorme meerwaarde voor mijn werk als algemeen practicus, en het chirurgische aspect sprak mij erg aan.”

David valt bij: “In Nederland is iedere tandarts bevoegd om implantaten te plaatsen, maar in de algemene opleiding wordt hier weinig aandacht aan besteed. Er zijn ongeveer 350 door de NVOI erkende implantologen, maar daarnaast zijn er ook veel tandartsen die op kleine schaal implantaten plaatsen. Je moet je echt bekwamen om het vak onder de knie te krijgen en dat maakte het voor mij zo interessant.”

Hoe is

jullie samenwerking ontstaan?

Frank en David kennen elkaar al sinds de eerste dag van de opleiding Tandheelkunde aan het ACTA. “We werden al snel goede vrienden”, vertelt David. Beiden studeerden in 2006 af als tandarts en zonder dat ze het van elkaar wisten, solliciteerden ze in 2009 voor de opleiding tot implantoloog. “Toen we erachter kwamen dat we allebei waren toegelaten, was dat een leuke verrassing”, lacht David.

Hun vriendschap en gedeelde interesse in implantologie vormden de basis voor hun latere samenwerking. Na hun opleiding tot implantoloog werden ze gevraagd om samen de Masterclass Implantologie aan het ACTA over te nemen. “Dat was een geweldige kans”, zegt Frank. “We hadden weinig ervaring met lesgeven, maar we zijn er met enthousiasme ingedoken en hebben het uiteindelijk twaalf jaar lang gedaan.” David: “We stapten er een beetje in met een Pippi Langkous-mentaliteit: ‘Ik heb het nog nooit gedaan, dus ik denk dat ik het wel kan.’ Het heeft ons enorm veel gebracht.”

Na veel succesvolle jaren lesgeven aan het ACTA besloten Frank en David hun expertise in een andere vorm te gieten. “We waren al jaren aan het broeden op hoe we cursisten meer praktijkbegeleiding konden bieden”, legt David uit. “Op de universiteit

was dat met de masterclass implantologie niet altijd even goed mogelijk bij elke cursist. Daarom hebben we zelf de Leergang Implantologie: Vast & Zeker opgezet, met meer opeenvolgende modules en na elke module een mentorschap. Zo kunnen we onze kennis en ervaring nog beter overdragen.”

Voor beiden is het opleiden van nieuwe generaties implantologen niet alleen een professionele ambitie, maar ook een persoonlijke drijfveer. “Destijds hebben onze docenten veel tijd in ons gestoken”, zegt David. “Ik voel mij nu ook verplicht om nieuwe implantologen op te leiden.” Frank sluit zich daarbij aan: “Het is fantastisch om te zien hoe we cursisten nu nog beter kunnen ondersteunen en ze echt kunnen helpen groeien in dit vak. Het maakt mij supertrots als een van mijn cursisten uiteindelijk wordt erkend als implantoloog.”

Frank en David

INTERVIEW

Welke grote ontwikkelingen in de implantologie hebben jullie de afgelopen 15 jaar gezien?

Frank: “Een belangrijke ontwikkeling is de verschuiving van macro naar micro. Tegenwoordig werken we veel verfijnder, met behulp van vergroting zoals een loepbril en loeplicht. We gebruiken fijn microchirurgisch instrumentarium, dun hechtdraad en nieuwe hechttechnieken. Vroeger gingen we veel grover te werk, waardoor we minder mogelijkheden hadden, bijvoorbeeld bij tandvleescorrecties. Deze verfijnde aanpak is een goede verbetering.”

Hij vervolgt: “Prothetisch gezien zie je ook een aantal grote veranderingen. Vroeger cementeerde je de kroon in de mond op het abutment. Tegenwoordig cementeren wij kronen niet meer direct in de mond, maar worden deze in het laboratorium op het abutment gecementeerd en vervolgens in de mond verschroefd. Sinds enkele jaren kan er ook onder een

hoek verschroefd worden, zodat het schroefgat altijd op een gunstige plek zit. Daarnaast zijn er grote vooruitgangen in de botopbouwmaterialen en -technieken. In het verleden werd vaak alleen autoloog (eigen) bot gebruikt om de kaak op te bouwen. Je ziet nu een verschuiving richting het gebruik van botsubstituten, zoals dierlijk bot of donorbot.”

David: “Soms komen technieken, verdwijnen ze langzaam, en komen ze ook weer terug. Het is daarom belangrijk om ook kennis te hebben van technieken uit het verleden.”

Frank: “Dat klopt, een voorbeeld hiervan is L-PRF, een techniek waarbij je het bloed van de patiënt zelf gebruikt. Deze techniek werd 20 jaar geleden al op een andere manier toegepast en is enkele jaren geleden op een verbeterde manier teruggekomen.”

David: “Bovendien zijn commerciële belangen een grotere rol gaan spelen in de implantologie. Bedrijven willen snel nieuwe producten op de markt brengen, die misschien niet altijd de beste zijn, maar wel

commercieel succesvol. Eigenlijk zou je een studie van 20 jaar moeten hebben om echt iets te kunnen zeggen over een bepaald product, maar tegen die tijd is dat product vaak al niet meer op de markt. We hebben simpelweg weinig hoogwaardige langetermijnliteratuur. Daarom is het belangrijk om als implantoloog de juiste kennis en kunde te hebben om niet in elke hype mee te gaan. Je uitgangspunt moet altijd zijn dat je patiënt een stabiel eindresultaat krijgt, en niet dat je producten aanschaft voor mooie foto’s op je Instagram. Wij leren cursisten op een voorspelbare manier goede langetermijnresultaten te bereiken.”

Frank vult aan: “Inderdaad. Wat we nu vaak zien op congressen of social media, zijn kortetermijnresultaten na één jaar of direct na de behandeling. Maar het is veel belangrijker om te weten hoe het resultaat er na 5 of 10 jaar uitziet. Dat geeft pas echt goed zicht op de effectiviteit van een behandeling.”

David: “De verwachtingen van de patiënt zelf zijn ook heel anders dan 15 jaar geleden. Mensen willen alles sneller. Waar implantaten 20 jaar geleden nog een halfjaar moesten ingroeien, zien we nu vaak dat een tand wordt verwijderd en direct een implantaat wordt geplaatst.”

Frank: “Je ziet inderdaad een verschuiving naar direct implanteren na extractie, oftewel immediate placement. En dat is meteen een valkuil.” David: “Als professional moet je jezelf blijven afvragen in welke situatie het een toegevoegde waarde heeft om alles sneller te willen doen. Vaak kun je patiënten ook heel goed betrekken bij de behandelkeuzes, zodat ze begrijpen waarom een bepaalde aanpak voorspelbaarder is.”

De druk om sneller te werken en de hoge verwachtingen van patiënten zetten de kwaliteit van de implantologie onder druk. David: “We zien helaas dat het niveau van de implantologie er niet altijd beter op wordt. Het lijkt allemaal heel gaaf en heel leuk, een beetje ‘Instagram’ tandheelkunde, maar er zit wel een complex biologisch principe achter. Het plaatsen van een implantaat in het bot is helemaal niet zo ingewikkeld; dat is een chirurgisch trucje. Over het algemeen groeit een implantaat ook wel vast. Maar het gaat erom dat je begrijpt waarom het vastgroeit, welke diepte en positie de juiste zijn, en bij welke patiënt de behandeling geïndiceerd is. Het is onze missie om dat goed over te brengen aan implantologen in opleiding.”

Hoe hebben technologische innovaties jullie werk veranderd?

Frank: “Een belangrijkste technologische ontwikkeling is de CBCT-scan. Hiermee kun je voorafgaand aan de behandeling veel makkelijker een planning maken, wat sommige behandelingen enorm vereenvoudigt. Daarnaast is de intra-orale mondscanner voor de implantologie geïntroduceerd. Je kunt nu een mondscan maken zonder nog afdrukken te hoeven nemen, wat een enorme technologische vooruitgang is.”

David: “Wat tien jaar geleden nog onmogelijk was, kan nu wel: je kunt een mondscan combineren met een CBCT-scan van bijvoorbeeld de bovenkaak. Door deze scans over elkaar heen te leggen, krijg je een zeer gedetailleerd en precies beeld. Met alle data die we tegenwoordig hebben, is het nu mogelijk om een tand of kies volledig te kopiëren en een tijdelijke kroon op maat te maken. Zo kun je nu – los van de planningstijd – binnen 20 minuten een voortand verwijderen, een malletje fixeren, het implantaat plaatsen en de kroon erop plaatsen. Dat maakt behandelingen veel efficiënter en komt het resultaat van de behandeling ten goede.”

David benadrukt echter ook de keerzijde van deze innovaties. “Frank en ik zijn nauwelijks opgeleid met de CBCT-scan; we deden alles uit de hand en hebben zo een gevoel ontwikkeld voor de techniek. Wij gebruiken de scans in bepaalde gevallen als goed hulpmiddel, maar voor beginnende collega’s lijkt het misschien alsof alles heel eenvoudig is. Dat is het echter niet, want je moet goed weten bij welke patient je wat kunt toepassen.”

Welke verandering zien jullie in de samenwerking met andere specialisten?

Frank: “De multidisciplinaire samenwerking is de laatste jaren echt in opkomst. Vroeger had je kleine eenmanspraktijken, maar tegenwoordig zie je grotere praktijken met verschillende specialismen onder één dak. De ene collega richt zich misschien meer op restauratieve behandelingen, terwijl de ander zich meer op chirurgische ingrepen richt.”

David: “In mijn praktijk hebben we bijvoorbeeld een endodontoloog, die een belangrijke aanvulling is op

Opleiding Intraorale Implantologie

INTENSIEVE 13-DAAGSE OPLEIDING

Ben je klaar om je kennis en vaardigheden uit te breiden met intraorale implantologie?

Of je vaardigheden binnen dit vakgebied naar een hoger niveau te tillen? Tijdens deze 13-daagse opleiding nemen Frank Andriessen en David Rijkens je mee in de boeiende wereld van implantologie, van de basisprincipes tot geavanceerde technieken.

Wat kun je verwachten?

• Diepgaande Theoretische Sessies: Verdiep je in essentiële onderwerpen zoals indicatiestelling, behandelingsplanning, hechttechnieken, tijdelijke voorzieningen en prothetiek.

• Hands-on Sessies: Werk met fantoomkoppen om je vaardigheden in de praktijk te brengen, en krijg de kans om te oefenen op humane preparaten.

• Persoonlijke Begeleiding: Na het afronden van een module kan je ondersteund worden door een ervaren moderator die je helpt om de theorie effectief om te zetten in praktijk. Zij bieden gerichte feedback en ondersteuning, zodat je met vertrouwen de behandelingen kunt uitvoeren. Een unieke kans om de geleerde theorie onder begeleiding van een doorgewinterde implantoloog in de praktijk te brengen.

Waarom deze opleiding?

• Complete leerlijn: Van theorie naar praktijk, ondersteund door ervaren professionals.

• Kwaliteit: Kleine groepen voor persoonlijke begeleiding en maximaal leerrendement.

• Hands-on ervaring: Werk met realistische materialen en ervaar de technieken in een veilige en gecontroleerde omgeving.

Deze opleiding biedt theoretische verdieping en ook praktische ervaring, na afloop kun je zelfverzekerd aan de slag kunt gaan met intraorale implantologie.

Niet zomaar een Implantologie opleiding! Leergang implantologie – Vast & Zeker

Registreer nu eenvoudig en snel via deze QR-code.

of kijk op: www.leergangimplantologie.nl

een implantoloog. Het is niet alleen gezellig en leuk, maar het is ook enorm handig. Als ik bijvoorbeeld een verwijzing krijg voor een implantaat bij een jong persoon, vraag ik vaak even de endodontoloog erbij om te kijken of het probleem misschien met een wortelkanaalbehandeling opgelost kan worden. En andersom gebeurt dat natuurlijk ook. Patiënten vinden het bovendien heel prettig dat ze op één consult twee specialisten kunnen zien.”

Frank: “Hierbij moet je niet uit het oog verliezen dat je natuurlijk wel van alle disciplines weet moet hebben.” David stemt hiermee in: “Ja, je moet inderdaad opletten dat je geen tunnelvisie krijgt.”

Welke ontwikkelingen kunnen we nog verwachten binnen de implantologie?

Frank: “Er is een duidelijke trend in het gebruik van zirconia implantaten. Daarnaast wordt er veel onderzoek gedaan naar de ontwikkeling van specifieke oppervlaktes om het risico op peri-implantitis te verminderen. Ook wordt er gewerkt aan coatings met materialen die minder gevoelig zijn voor de ontwikkeling van peri-implantitis. Verder richt men zich op botmaterialen die het gemakkelijker en sneller maken voor het bot om in te groeien.”

David en Frank merken op dat de vraag naar implantologie toeneemt en verwachten dat dit de komende decennia zo zal blijven. Toch moeten we alert blijven. David: “Op dag 1 van onze leergang zeggen wij altijd meteen ‘Een implantaat vervangt geen tand of kies maar een verloren gegane of niet te behouden tand of kies’. Er zijn heel veel methodes, zoals een wortelkanaalbehandeling, die prima zijn om een implantaat te voorkomen. Als ik bij iemand kan voorkomen om een implantaat te plaatsen, dan heeft dat altijd mijn voorkeur. Patiënten denken vaak: ‘Ik heb een implantaat en ben van alles af’, maar dat is niet altijd het geval.”

Frank: “Precies. Daarom is het belangrijk om te beseffen dat implantaten niet altijd de oplossing zijn voor elke situatie. Naast het chirurgische aspect, moet je als implantoloog dus ook in staat zijn om de patiënt goed voor te lichten over wat een implantaat inhoudt en welke risico’s ermee gepaard gaan. Je hebt als professional en cursusdocent hierin een hele verantwoordelijke rol.”

Welke tips hebben jullie voor algemeen practici en de nieuwe

generatie implantologen?

Frank benadrukt dat nascholing essentieel blijft voor tandartsen die zelf niet implanteren, maar wel met implantaten werken. “Als je als algemeen practicus niet zelf wilt implanteren, maar wel zelf de prothetiek wilt verzorgen, zorg dan dat je je daarin heel goed bekwaamt. Er zijn enorm veel keuzes te maken, en als je niet weet wat er mogelijk is of je maakt een verkeerde keuze, kan dat leiden tot een foutief werkstuk. Dat kan vervolgens grote problemen veroorzaken voor het implantaat. Ook hierin geldt: nascholing is onmisbaar. Het is niet zomaar ‘even’ een kroontje maken.”

David sluit zich hierbij aan: “We herkennen uit de algemene praktijk dat veel problemen rondom implantaten voortkomen uit een gebrek aan kennis. Soms is de positie van het implantaat of de indicatiestelling niet goed, maar vaak ligt de oorzaak van het ontstane probleem ook bij de suprastructuur, dus de kroon of brug. Hoewel de intentie van de behandeling goed is, ontstaan er problemen door onvoldoende inzicht in wat werkt en wat niet.” Frank: “Je hebt het dan over welke materialen gebruik je, welke vormgeving, welke soort abutments, van welke materialen maak je die, hoeveel druk zet je op het tandvlees, wat voor instructie geef je, etcetera.”

Voor de nieuwe generatie implantologen hebben ze ook heldere adviezen. David: “Bij de eerste 500 implantaten die je plaatst, moet je ook zelf de kronen maken. Je ziet toch veel in de praktijk dat één iemand implantaten plaatst en de ander de kronen er op maakt. Dan zie je dus niet de consequenties van je eigen werk. Het is ook belangrijk dat je na zoveel jaar weer je patiënten – bijvoorbeeld verwezen – terugziet en bekijkt wat het resultaat is.”

Frank: “Doe niet te veel in één keer en gun jezelf de tijd om dingen aan te leren.” Begin met eenvoudige casussen en voer het stap voor stap op. Probeer niet meteen het allermoeilijkste, maar pas wat je leert direct toe in de praktijk. Zo krijg je het onder de knie.”

David: “En stel jezelf kwetsbaar op. Neem bijvoorbeeld een dag vrij op de praktijk en ga een halfjaar meekijken met een ervaren implantoloog. Dat is ontzettend waardevol. De huidige generatie implantologen wil natuurlijk goede opvolgers en uiteindelijk is iedereen wel bereid om goede mensen het vak te leren.” Hij vervolgt: “Het laatste wat ik wil meegeven is als je een keuze maakt, ga er dan ook vol voor. Implantologie komt je niet aanwaaien. En je moet zeker ook andere dingen naast je werk blijven doen. Je moet ook de deur van de praktijk achter je dicht kunnen trekken.”

Een gids voor een sterke start

De fundering van succesvolle implantologie

Dit artikel is bedoeld om jou kennis te laten maken met de kernprincipes en uitdagingen van implantologie. Door middel van onderwerpen zoals indicatiestelling, planning en chirurgische technieken belicht dit artikel de basisconcepten die je tijdens een opleiding verder kunt uitdiepen. Het doel is niet om je klaar te stomen voor de praktijk, maar om je te inspireren en te informeren over de veelzijdigheid van implantologie en het belang van een professionele opleiding.

Implantologie staat bekend als een van de meest innovatieve en uitdagende disciplines binnen de tandheelkunde. Wat ooit begon als een technische oplossing voor tandvervanging, is vandaag de dag uitgegroeid tot een verfijnd samenspel van precisie, esthetiek en functionaliteit. Voor tandartsen in de eerste jaren van hun carrière lijkt implantologie vaak een logische vervolgstap, maar het is belangrijk om te begrijpen dat een gedegen opleiding een vereiste is voordat je implantaten kunt plaatsen.

De voorbereiding

Elke succesvolle implantologische behandeling begint met een goede voorbereiding. Maar hoe weet je of een implantaat wel de juiste oplossing is? Hoewel het behouden van natuurlijke elementen vaak

de voorkeur heeft, zijn er situaties waarin een implantaat de meest duurzame en voorspelbare keuze is. Denk aan een tand met een diepe fractuur, een wortelkanaalbehandelde molaar met herhaalde ontstekingen, of ernstige parodontale schade. Maar wat doe je als een molaar slechts een kleine kroonfractuur heeft? In dat geval kan een restauratie met een kroon of onlay wellicht een betere optie zijn dan extractie en implantatie.

Bij een patiënt met nog aanwezige tanden (dentate patiënt), wordt een implantaat nooit als eerste gepland in de behandelketen. Eerst moet gekeken worden naar de totale situatie, waaronder de kaakstand, de tandpositie en de vorm van de bestaande tanden en kiezen. Dit is essentieel, omdat een implantaat niet geïsoleerd functioneert, maar deel uitmaakt van het volledige gebit en de occlusale dynamiek. Als een

tand of kies verloren gaat, moet het implantaat zodanig worden gepland dat het optimaal belast wordt binnen de bestaande mondsituatie.

Bij implantologie streven we naar een kroon op het implantaat die perfect integreert in een mond met mutually guided occlusion. Dit betekent dat de occlusale krachten gelijkmatig worden verdeeld en het implantaat functioneert als onderdeel van een goed gebalanceerd occlusiesysteem. Alleen met een geïntegreerde aanpak kunnen we de garantie bieden dat het implantaat en de kroon duurzaam functioneren. Het is de holistische benadering die bepaalt of implantologie echt succesvol kan zijn.

Gezondheid als fundament

De medische gesteldheid van de patiënt speelt een cruciale rol in deze beslissing. Systemische aandoeningen zoals diabetes en osteoporose, evenals medicatie zoals bisfosfonaten, kunnen het genezingsproces bemoeilijken. Ook roken blijft een van de grootste boosdoeners: het verhoogt de kans op peri-implantitis en vertraagt de genezing. Het loont om deze zaken met de patiënt te bespreken en, waar nodig, advies in te winnen van een huisarts of specialist.

De kracht van beeldvorming

Diagnostiek speelt een cruciale rol in de voorbereiding van implantologische behandelingen. CBCTscans bieden niet alleen inzicht in botvolume en dichtheid, maar ook in de precieze ligging van zenuwen, bloedvaten en andere anatomische structuren.

Dit maakt het mogelijk om complicaties te voorkomen en een behandelplan op te stellen dat zowel effectief als veilig is. Bij technieken zoals de Partial Extraction Therapy (PET) wordt dit diagnostische inzicht gecombineerd met een innovatieve aanpak voor esthetische en functionele optimalisatie.

De PET-techniek richt zich op het behouden van het buccale deel van de wortel, wat bijdraagt aan het behoud van botvolume en zachte weefselcontouren. Door gebruik te maken van CBCT-scans, kan de exacte positie van het implantaat worden gepland, zodat deze biomechanisch optimaal wordt belast en harmonieus integreert met de omliggende structuren. Deze techniek vereist een grondige kennis van de anatomie en een nauwkeurige uitvoering, maar biedt esthetische en functionele voordelen die cruciaal zijn in complexe casussen.

Met PET en geavanceerde beeldvorming kunnen tandartsen niet alleen de esthetiek en stabiliteit van implantaten verbeteren, maar ook de impact van de behandeling op lange termijn minimaliseren. Dit benadrukt het belang van een geïntegreerde aanpak en een diepgaande opleiding in zowel diagnostiek als chirurgische technieken (afbeelding 1, 2 en 11-17).

De vijf sleutels tot succesvolle implantaatplaatsing

Het plaatsen van een implantaat vereist meer dan alleen technische vaardigheid. Een strategische aanpak, gebaseerd op vijf kernfactoren, is essentieel:

• Mesio-distaal: zorg voor voldoende afstand tus-

sen het implantaat en naburige tanden (minimaal 1,5 mm) en tussen implantaten onderling (3 mm).

Dit voorkomt botverlies en behoudt de interdentale papil, wat cruciaal is voor esthetiek.

• Bucco-oraal: een implantaat dat te buccaal wordt geplaatst, kan leiden tot botverlies en gingivarecessie. Te orale plaatsing belemmert daarentegen de prothetische mogelijkheden.

• Diepte: het implantaatplatform moet ongeveer 2-3 mm apicaal van de verwachte gingivarand liggen. Dit biedt ruimte voor gezonde zachte weefsels en een natuurlijk ogende kroon.

Relatie tot anatomische structuren: kritieke structuren zoals de nervus alveolaris inferior en de sinus maxillaris vereisen een minimale afstand van 2 mm om complicaties te vermijden.

• Occlusale belasting: bij patiënten met zacht bot (type III of IV) is het belangrijk een implantaat te IMPLANTOLOGIE

kiezen met voldoende oppervlak of scherpe windingen om stabiliteit te garanderen.

Het begrijpen en toepassen van deze principes vraagt om de juiste training en begeleiding, die je tijdens een implantologie opleiding kunt ontwikkelen (afbeelding 3-5).

De chirurgische fase

De chirurgische fase vormt de kern van implantologie. Dit is het moment waarop theoretische planning en technische uitvoering samenkomen. Een goed ontworpen incisie en flapontwerp (afbeelding 6) zijn essentieel om toegang te krijgen tot het werkgebied zonder de weefsels onnodig te beschadigen.

Een crestale incisie is geschikt voor de meeste standaardprocedures, terwijl een papilla-sparende incisie vaak wordt gebruikt in het frontgebied, waar esthetiek een prioriteit is. Voor complexere casussen, zoals botopbouw, biedt een releasing incisie extra toegang. Zodra de flap is afgeschoven, komt precisie om de hoek kijken. Het prepareren van het bot moet met de grootste zorg gebeuren om thermische schade te voorkomen. Een gecontroleerde plaatsing met het juiste koppel zorgt voor optimale primaire stabiliteit.

Het belang van hechttechnieken (afbeelding 7-9)

De sluiting van de wond speelt een sleutelrol in het genezingsproces. Solitaire hechtingen bieden flexibiliteit en controle, terwijl doorlopende hechtingen geschikt zijn voor langere incisies. Horizontale of verticale matrashechtingen zijn ideaal om spanning op de wond te voorkomen en stabiliteit te garanderen.

Sinusliften: laterale of crestale benadering?

In de achterste delen van de bovenkaak kan te weinig bot in de hoogte implantaatplaatsing bemoeilijken. Een sinuslift biedt hier uitkomst, maar de keuze tussen een laterale en een crestale benadering hangt af van de klinische situatie.

De laterale sinuslift wordt toegepast wanneer minder dan 5 millimeter bot beschikbaar is of wanneer grote botaugmentaties nodig zijn. Via een toegangsluik in de laterale wand van de sinus kan het sinusmembraan direct worden gevisualiseerd en gelift. Dit biedt maximale controle en minimaliseert het risico op perforaties. Deze techniek is ook geschikt bij anatomische uitdagingen, zoals een sterk gepneumatiseerde sinus of een onregelmatige sinusvloer (afbeelding 18-24).

De crestale techniek, ook bekend als de indirecte sinuslift, is minder invasief en wordt uitgevoerd via het implantaatbed. Deze methode is geschikt wanneer minimaal 5-7 millimeter bot aanwezig is en kleine augmentaties nodig zijn. Met behulp van osteotomen of ballonkatheters kan het sinusmembraan voorzichtig worden gelift. De kortere hersteltijd en lagere belasting voor de patiënt maken dit een aantrekkelijke optie bij minder complexe situaties.

Keuzes in botmateriaal (afbeelding 10)

Bij een sinuslift is de keuze van het botmateriaal een belangrijke overweging. Er zijn vier hoofdcategorieën:

1. Autoloog bot: dit is bot van de patiënt zelf, meestal geoogst uit de kin of ramus. Het heeft uitstekende osteogene eigenschappen, maar vereist een tweede chirurgische ingreep en verhoogt daardoor de belasting voor de patiënt.

2. Humaan bot (allograft): donorbot afkomstig van

Superieure botopbouw met smartGBR: de toekomst van implantologie

Wat is smartGBR?

Smart Guided Bone Regeneration (smartGBR) is de nieuwe standaard voor botregeneratie, ontwikkeld voor tandarts-implantologen die streven naar een natuurlijke en voorspelbare botopbouw. Het combineert de kracht van cross-linked hyaluronzuur (xHyA) en het gebruik van een botsubstituut. SmartGBR biedt een wetenschappelijk onderbouwde oplossing voor alle botdefecten, van eenvoudig tot complex, met een focus op natuurlijk herstel en optimale genezing.

VOORDELEN VAN SMARTGBR:

Superieure remodeling

Versnelde genezing, minder pijn

Sticky bone

Versnelde natuurlijke botvorming

Meer natuurlijk bot, minder restpartikels

Optimale botvolume en stabiliteit

Dr. T. Marques

Bekijk twee praktijkvoorbeelden op onze website en leer meer over smartGBR

www.implanetic.com/smart-gbr

een biobank. Het gebruik hiervan is minder invasief dan autoloog bot, maar patiënten die humaan bot krijgen, mogen in Nederland geen bloeddonor meer zijn vanwege mogelijke overdracht van prionen of andere biologische risico’s.

3. Dierlijk bot (xenograft): vaak afkomstig van runderen of varkens. Xenograft heeft goede osteoconductieve eigenschappen, maar sommige patiënten weigeren dit uit geloofsovertuigingen of ethische redenen.

4. Synthetisch bot: gemaakt van bioactieve materialen zoals hydroxyapatiet of calciumfosfaat. Het is biocompatibel en ethisch verantwoord, maar heeft geen osteogene eigenschappen.

De keuze voor het juiste materiaal hangt af van de voorkeuren van de patiënt, de klinische situatie en de gewenste eigenschappen van het bot. Tijdens een opleiding leer je hoe je deze afwegingen maakt en bespreekt met je patiënt.

Complicaties en implant infection control

Hoewel implantologie in de meeste gevallen succesvol is, blijven complicaties een belangrijk aandachtspunt. Complicaties kunnen variëren van chirurgische uitdagingen tot prothetische problemen, maar een van de meest zorgwekkende complicaties is infectie rondom het implantaat. Dit kan variëren van vroege infecties, zoals peri-operatieve wondinfecties, tot latere complicaties zoals peri-implantitis.

Mogelijke complicaties (afbeelding 25 en 26)

Chirurgische complicaties: dit omvat zenuwbeschadiging, sinusperforaties, of oververhitting van het bot tijdens het boren. Deze complicaties kunnen ernstige gevolgen hebben, zoals gevoelloosheid, pijn of verlies van implantaatstabiliteit. Vroege infecties: onvoldoende sterilisatie, slechte wondgenezing of bacteriële contaminatie tijdens de operatie kunnen leiden tot infectie. Dit kan resulteren in pijn, zwelling, of zelfs implantaatverlies.

• Late complicaties: peri-implant mucositis (ontsteking van de weefsels rond het implantaat) kan zich

ontwikkelen tot peri-implantitis, waarbij ook botverlies optreedt. Zonder behandeling kan dit leiden tot het falen van het implantaat.

• Prothetische complicaties: slechte planning of occlusale overbelasting kan leiden tot breuk van de suprastructuur of het losraken van schroeven.

Infectiepreventie en beheer

Een cruciaal aspect van implantologie is implant infection control. Dit omvat niet alleen het voorkomen van infectie tijdens de operatie, maar ook het minimaliseren van de risico’s op lange termijn:

1. Steriele werkomgeving: het gebruik van steriel instrumentarium en disposables, gecombineerd met een gecontroleerde steriele setting, is essentieel tijdens de chirurgische procedure. Chirurgische foute technieken, zoals het minimaliseren van weefseltrauma en thermische schade, helpen ook infecties te voorkomen.

2. Voorzorgsmaatregelen bij patiënten: patiënten met systemische aandoeningen zoals diabetes, of die roken, lopen een hoger risico op infecties. Een pre-operatieve controle van de medische status en, waar nodig, het optimaliseren van de algehele gezondheid, kunnen het risico verminderen.

3. Orale hygiëne: het succes van implantaten op de lange termijn is sterk afhankelijk van de mondhygiëne van de patiënt. Patiënten moeten worden geïnstrueerd in een goede reinigingstechniek rondom het implantaat en het gebruik van interdentale borstels.

4. Nazorg en controle: regelmatige follow-ups zijn cruciaal om vroegtijdig tekenen van ontsteking of peri-implantitis te detecteren. Professionele reiniging en monitoring van botniveau en zachte weefsels via röntgenfoto’s zijn essentieel.

5. Behandeling van infecties: bij peri-implantitis kan een combinatie van mechanische reiniging, antiseptische middelen en soms chirurgische interventie nodig zijn om verdere schade te voorkomen. Nieuwere technieken zoals laserbehandeling of het gebruik van antimicrobiële biofilms worden steeds vaker ingezet.

Door complicaties te anticiperen en preventieve maatregelen te nemen, kunnen tandartsen niet alleen de risico’s minimaliseren, maar ook het ver-

Hét Event voor de Praktijkmanager

11 april 2025 Vianen

Live podcastopname praktijkmanagement/leiderschap

Mascha van Wermeskerken en Nora Ennabachi

Plenair: Duaal leiderschap

Ron Steenkist

Workshop 1: Strategisch praktijkplan op 2 A4-tjes

Mascha van Wermeskerken

Workshop 2: Gastvrijheid begint intern

Pauline Sterenborg

Workshop 3: De impact van je stem

Annemieke Rhee

Workshop 4: Generaties en levensfasen op de werkvloer

Kirsten Heukels

Leer, inspireer en ontmoet collega’s uit het vak tijdens dit interactieve event!

Stel je eigen programma samen door te kiezen uit 3 workshops!

Meld je nu aan via onze website!

Voorspelbare GBR met Cytoplast

Extractiegebieden met ontoereikende structurele ondersteuning, alsook horizontale en verticale botaugmentaties dienen vaak ondersteund te worden om de gewonnen ruimte te handhaven. Cytoplast® titanium-reinforced membranen bieden een hoge voorspelbaarheid in GBR. Belangrijke eigenschappen zijn: het sterkere titanium frame en het zeer verdichte Regentex® oppervlak, welke kan worden blootgesteld aan de mondholte. Bovendien zijn de membranen simpel te verwijderen.

Gebruik Cytoplast® titanium-reinforced membranen om uw opbouwtechniek en de voorspelbaarheid naar nieuwe hoogten te brengen.

Referent: Melle Vroom, Parodontologie Praktijk Friesland

AvondKlinischeUtrecht, 7 mei 2025 Vernieuwde inhoud!

Spreker: Melle Vroom Interessant voor ervaren gebruikers en collega's die kennis willen maken met Cytoplast dPTFE membranen!

Scan QR-Code voor cursusprogramma

trouwen van patiënten in implantologie versterken. Een goed uitgevoerd implantaat is niet alleen een technische prestatie, maar ook een belofte van duurzame mondgezondheid.

Samenvatting

Implantologie is een uitdagend en veelzijdig vakgebied dat tandartsen de mogelijkheid biedt om patienten duurzame, functionele en esthetische oplossingen te bieden. Dit artikel benadrukt dat succes binnen de implantologie begint met een grondige voorbereiding, een gedegen kennis van anatomie, en het vermogen om de behandeling te plannen op basis van een holistische benadering van het gebit en de kaakfunctie.

Van het beoordelen van de medische en dentale situatie tot het maken van keuzes in chirurgische technieken, botmaterialen en infectiepreventie: elke stap vereist precisie, inzicht en de juiste training. Geavanceerde procedures zoals sinusliften en botopbouw benadrukken het belang van maatwerk voor elke patiënt, terwijl complicatiebeheer en nazorg essentieel zijn voor langdurige resultaten.

Hoewel de mogelijkheden binnen de implantologie vrijwel eindeloos lijken, is het belangrijk te beseffen

dat het starten met implantologie vraagt om een gedegen opleiding en voortdurende professionele ontwikkeling. Met de juiste kennis en begeleiding kunnen tandartsen vertrouwen opbouwen, technieken perfectioneren en bijdragen aan duurzame mondgezondheid voor hun patiënten.

De auteur

Nurcan Yilmaz is een erkend restauratief tandarts (NVVRT, EPA), ambassadeur van KARMA Dentistry, onderdeel van Minec Nederland en co-docent bij de Abas Implant Academy, een gerenommeerde implantologie opleiding in Nederland. Haar passie ligt in reconstructieve en esthetische tandheelkunde, waarin ze zowel patiënten als collega’s inspireert om altijd te streven naar kwaliteit en innovatie. Met haar ervaring en visie brengt ze complexiteit terug tot begrijpelijke, praktische principes die het vertrouwen en de vaardigheden van jonge tandartsen versterken.

Bijzondere dank aan Irfan Abas voor zijn begeleiding en het leveren van de foto’s.

Flapless Immediate Implant Placement & Provisionalisation 2.0

Toen de implantologie nog in de kinderschoenen stond, was het de vraag of een onmiddellijk geplaatst implantaat na extractie (Immediate Implant Placement) zou kunnen integreren. Tegenwoordig is deze vraag ruimschoots beantwoord (Lang et al., 2012) en verschuift de focus naar andere klinische uitkomsten, zoals esthetiek en patiënttevredenheid (Slagter et al., 2014, Chen et al., 2014). Zoals we weten is fronttandvervanging in de bovenkaak nog steeds een uitdaging, omdat een kleine fout kan leiden tot afschuwelijke esthetische resultaten. Desondanks is de meest patiëntvriendelijke procedure voor een fronttand die verloren is, het “Meteen Door” protocol oftewel “Flapless Immediate Implant Placement and Provisionalisation” (FIIPP). Dit protocol biedt de voordelen van minimaal invasieve chirurgie, onmiddellijke implantaatplaatsing na extractie, botopbouw en tijdelijke restauratie in één behandeling (afbeeldingen 1-7). Dit betekent voor de patiënt minder ongemak, minder genezingstijd en een verbeterde algehele ervaring (Groenendijk et al., 2020).

Het FIIPP protocol

Het FIIPP protocol bestaat uit de volgende fasen: 1. Diagnostische fase en beeldvorming: tijdens het eerste consult wordt een cone beam computed tomography (CBCT) gemaakt van een zo

klein mogelijk gebied rondom het te extraheren element. Dit biedt belangrijke informatie over de botkwantiteit, de anatomie van de alveolaire kam en eventuele ontstekingen. Deze initiële beeldvorming is van cruciaal belang voor de behandelplanning en het minimaliseren van risico’s (Velikov et al., 2020).

2. Planning en voorbereiding: aan de hand van de CBCT-beeldvorming wordt een gedetailleerd behandelplan opgesteld. De analyse van de CBCT maakt het mogelijk om de ideale locatie en orientatie van het implantaat te bepalen, wat essentieel is voor een succesvolle plaatsing en esthetische uitkomst.

3. Extractie en pre-operatieve voorbereiding: na anesthesie wordt het element zo atraumatisch mogelijk verwijderd. Het aanwezige ontstekingsweefsel in de alveole wordt vervolgens zorgvuldig gecuretteerd om de kans op postoperatieve complicaties te minimaliseren.

4. Plaatsing van het implantaat en botopbouw: de ideale positie van het implantaat in de premaxilla is zo veel mogelijk naar palatinaal van het element. Uit wetenschappelijk onderzoek is gebleken dat de 3D-positionering van het implantaat in de alveole het resultaat van de behandeling beïnvloedt. Hoe meer naar buccaal, hoe groter de kans op buccale recessie (Chen et al., 2019, Zuiderveld et al., 2014). Het doel is om

een ruimte te creëren buccaal van het te plaatsen implantaat van 2 mm of meer tot aan de buccale botwand (Chen et al., 2007). Na preparatie van de osteotomie wordt deze ruimte opgevuld met kunstbot. Dit bevordert het behoud van de alveolaire kam en minimaliseert het risico op botverlies na de extractie (Araújo et al., 2005, Avila-Ortiz et al., 2019, Groenendijk et al., 2017 & 2023). Daarna wordt een bone level implantaat geplaatst.

5. Tijdelijke kroon: op dit implantaat wordt een Dutch design abutment geplaatst waarop een tijdelijke kroon wordt vervaardigd. Deze bootst de natuurlijke anatomie van het element na en zorgt voor een mooie genezing van de weke weefsels.

6. Definitieve kroon: 2-3 maanden later wordt de integratie van het implantaat beoordeeld door middel van klinisch en röntgenologisch onderzoek. Indien de genezing succesvol verloopt, wordt een definitieve kroon geplaatst, bestaande uit een zirkonium abutment met een porseleinen of zirkonium kroon.

Zwakke schakels

Sinds 2007 wordt het FIIPP protocol met succes toegepast in onze praktijk (Staas et al., 2022). Het suc-

1. Klinisch beeld voor

2. Klinisch beeld na

3. Röntenbeeld voor

4. Röntenbeeld na

5. CBCT van een Dutch design

6. Dutch Design abutment

7. CBCT definitieve kroon

ces van dit protocol is, achteraf bekeken, te danken aan het ontwerp van het Dutch design abutment. Dat is slank, glad en het wordt definitief geplaatst (met torque van 35 Ncm). Toch zijn er ook zwakke schakels.

Bij een FIIPP wordt het bone level implantaat subcrestaal geplaatst. Daarna wordt het Dutch design abutment (afbeelding 6) geplaatst en het kunstbot aangebracht tot tegen dit abutment (afbeelding 5). Dit abutment is van titanium (biocompatibel) en de eerste 3 mm van dit abutment is slank en glad. Het wordt geplaatst als een definitief abutment: met een torque van 35 Ncm. De tijdelijke kroon die daarna wordt gemaakt, is van composiet. Dit materiaal mag niet subgingivaal komen, aangezien dit materiaal niet biocompatibel is. Bij de vervaardiging van de definitieve kroon moet de tijdelijke kroon 2 keer losgemaakt worden. Hierbij wordt de genezing van de weke weefsels elke keer verstoord. Dit leidt volgens onderzoek van Wang (2017) tot botafbraak en schade aan de peri-implantaire weefsels. Verder is de hoogte en de vorm van het abutment van de definitieve kroon van groot belang, omdat een te breed of te kort abutment ongewenste druk tegen de buccale botopbouw kan genereren, wat kan leiden tot necrose. Bij voorkeur heeft het abutment van de definitieve kroon dezelfde vorm als het tijdelijke abutment (afbeelding 7).

8. implantaat zonder base 9. plaatsen van een base 10. implantaat met base 11. implantaat met base,

vooraanzicht

12. implantaat met base, tijdelijk abutment en botopbouw

13. genezing rondom base

Ook moet rekening gehouden worden met de materialen, de componenten, en de steriliteit van de kroon. Het materiaal dat subgingivaal zit, moet biocompatibel zijn, zoals titanium of zirkonium. Andere materialen (bijvoorbeeld porselein of glazuur) mogen niet tot op het abutment komen. Dit is niet biocompatibel en kan leiden tot een minder goede genezing van de peri-implantaire weefels. Strikte protocollen in het laboratorium zoals het gebruik van handschoenen en correcte (lees: schone) aflevering van de kroon zijn ook essentieel om contaminatie te voorkomen. Nauwkeurige communicatie tussen de implantoloog, de tandarts die de supra maakt en de technieker is van groot belang. Dit omvat details over het geplaatste healing abutment, het te kiezen definitieve abutment, het soort kroon en de materialen.

One-abutment-one-time

Omdat bovenstaande ‘zwakke schakels’ in de praktijk occasioneel leidden tot complicaties, heeft Tristan Staas met andere key opinion leaders samengewerkt om dit op te lossen. Zo is het one-abutment-onetime concept ontwikkeld (Fabbri et al., 2022). Dit

14. kroon uitboren

15. intra-oraal verlijmen

16. natuurlijke tijdelijke kroon, afgewerkt

houdt in dat een abutment tijdens de chirurgie op een bone level implantaat geplaatst wordt. Dit abutment fungeert als een verlengstuk van het implantaat. Hierdoor wordt een bone level implantaat (N1-implantaat met een N1-base) in een soft-tissue level implantaat getransformeerd. De base zit ter hoogte van het bindweefsel (connective tissue) en het junctioneel epitheel. De base wordt definitief geplaatst met een torque van 20 Ncm en is niet bedoeld om eraf te halen. Zo wordt de verbinding tussen deze weke weefsels en het implantaat niet meer verstoord. Dit komt de “muco-integratie” ten goede (Fabbri et al., 2021). Het one-abutment-one-time concept (afbeelding 8-13) lijkt zo een oplossing te bieden voor de bestaande knelpunten van de bone level implantaten en is eigenlijk een doorontwikkeling van het oorspronkelijke Meteen Door protocol. De overgang van het implantaat naar de kroon wordt op deze manier verplaatst naar een minder kritische zone, waardoor er in de techniekfase geen fouten meer gemaakt kunnen worden (verkeerde materialen of onjuiste protocollen in het lab). Ook de communicatie van de tandarts die de supra maakt naar de technieker, is niet meer zo belangrijk. Het resultaat van dit concept is minder botverlies rondom implan-

17. Klinisch beeld voor 18. Klinisch beeld na

19. Röntenbeeld voor 20. Röntenbeeld na

taten, minder schade aan de peri-implantaire weefsels en een beter en mooier eindresultaat dat langer stabiel blijft (Fabbri et al., 2021).

Opmerking: Waarom dan geen one-piece soft tissue level implantaat? Waarom moeilijk doen met een extra component? Dankzij de base zijn we flexibel in de esthetische zone en kan in een latere fase de base vervangen worden door een lagere of hogere base om beter uit te komen in de prothetische fase. Verder kan in geval van brugconstructies gekozen worden tussen rechte, dan wel gehoekte multi-unit abutments. Dit is niet mogelijk bij one-piece soft tissue level implantaten.

Provisionalisatie

Op de base kan met behulp van een omnigrip mini schroevendraaier een schroef gebruikt worden die 25 graden geanguleerd kan worden, wat voordelen biedt in esthetische situaties waar de locatie van het schroefgat essentieel is. Dit is prettig omdat de vervaardiging van een tijdelijke kroon een uitdaging kan zijn. Zo worden niet alleen de esthetische eisen en verwachtingen van de patiënt steeds hoger in deze maakbare Instagram-maatschappij, maar zo zijn er ook verschillende methoden beschikbaar, zoals het gebruik van een putty-mal, een flexibele dieptrekmal, of met behulp van een pella-kroontje. Digitale ontwerpen die pre-implantologisch 3D-geprint worden, zijn ook een optie. De keuze van de methode is afhankelijk van de specifieke klinische situatie. Als de tijdelijke kroon de natuurlijke tand zoveel mogelijk nabootst, dan kan een patiënt in principe niet ontevreden zijn. Het gebruik van de eigen tand kan dan ook als esthetisch meest ver-

21. CBCT van base 22. N1-base + tijdelijk abutment

antwoorde keuze worden beschouwd, aangezien deze vaak als ‘eigen’ wordt ervaren door de patiënt zelf. Als het eigen element open geboord wordt, zodat het over het tijdelijke abutment past, dan kan dit intra-oraal in de juiste positie verlijmd en aangepast worden (afbeelding 14-16).

Vervaardiging van de definitieve kroon

Als na een FIIPP 2.0 protocol (afbeelding 17-22), bij de controle van de integratie blijkt dat de weke weefsels rondom rond het implantaat er rustig uit zien en als de “tijdelijke” kroon goed functioneert, rijst de vraag of deze, indien vervaardigd van het eigen natuurlijke element of kroon, niet behouden kan blijven. Dit zou zowel in esthetisch als financieel opzicht voordelen kunnen bieden, mits de integratie en genezing optimaal verlopen.

De auteur

Ward Vandenbulcke is tandarts bij Staas en Bergmans in Den Bosch en erkend als specialist door de NVvP en de NVOI.

Referenties

De literatuurlijst is op te vragen bij de redactie en in te zien bij het artikel online op www.dentistamagazine.nl

PRAKTIJKMANAGEMENT

Succesvol specialiseren in implantologie

De specialisatie in implantologie biedt tandartspraktijken in Nederland niet alleen de mogelijkheid om hun zorgaanbod uit te breiden, maar ook om patiënten hoogwaardige zorg te bieden. Het succesvol integreren van implantologie in jouw praktijk vereist echter een doordachte aanpak. Hier zijn enkele aandachtspunten die je kunnen helpen bij een vlotte implementatie.

1. Protocollen en standaarden

Het opstellen van heldere protocollen is essentieel om consistentie en kwaliteit te waarborgen. Zorg ervoor dat alle stappen in het implantatieproces, van intake tot nazorg, gedocumenteerd zijn. Dit helpt niet alleen bij interne communicatie, maar versterkt ook de patiëntveiligheid en zorgt voor naleving van de regelgeving. Maak optimaal gebruik van de mogelijkheden van software, zoals het inzetten van standaardteksten (dossierteksten), waarmee met slechts enkele invoer een volledige tekst kan worden gegenereerd. Overweeg om te werken volgens de richtlijnen van beroepsverenigingen, zoals de KNMT of de NVOI. Abonneer je op de nieuwsbrieven om op de hoogte te blijven van wetswijzigingen, zoals die per april 2024: de registratieplicht en de beperkte aanleverplicht van informatie bij het toepassen van humaan lichaamsmateriaal (implanteren met bloedafname).

Tip: Evalueer je protocollen jaarlijks en betrek het team in het proces om ze up-to-date en praktisch toepasbaar te houden. Bespreek de veranderingen in het protocol in een (de)briefing of een vergadering.

2. Communicatie met patiënten

Implantologiebehandelingen kunnen complex en kostbaar zijn, wat onzekerheid bij patiënten kan veroorzaken. Heldere en empathische communicatie is cruciaal. Geef tijdens het consult duidelijke uitleg over de behandeling, kosten, nazorg, doorlooptijd en vraag naar de verwachtingen. Gebruik visuele hulpmiddelen, zoals voorbeeldmodellen, animaties of 3D-scans om patiënten meer inzicht te geven. Stel standaard begrotingen op met een geldigheidsdatum, bijvoorbeeld over drie maanden, en neem een mogelijke afwijking in de begroting van 10% op. Controleer de begroting, bijvoorbeeld met tools zoals ZorgSom of Pien, om inzicht te krijgen in de mogelijke vergoedingen van de verzekering.

Tip: Stel (digitale) folders beschikbaar die patiënten thuis kunnen doornemen. De folders van mijn praktijk in Amersfoort T.X. de Jong Tandzorg zijn te downloaden op www.txdejong.nl/implantologie-en-prothetiek/folders-implantologie-en-prothetiek/

3. Declaraties en vergoeding

Declareren van implantologiebehandelingen vanuit de basiszorg (edentate kaak) vereist nauwkeurigheid. Verzamel informatie van de patiënt, maak röntgenfoto’s en lichtfoto’s van de omslagplooi en de protheses, zodat de aanvraag voor vergoeding snel en efficiënt kan worden ingediend. Iedere zorgverzekeraar hanteert eigen maximale techniek- en materiaalkosten per werkstuk. Werk de eerste keren samen met een ervaren praktijkmanager of externe consultant om te zorgen dat declaraties voldoen aan de eisen van zorgverzekeraars.

Tip: Bij het achterhalen van de maximale vergoedingen per verzekering speelt ook de vraag of de praktijk een contract met de betreffende verzekeraar heeft. Overzichten per verzekering zijn te vinden op de website van ZorgSom: https://www.zorgsom.nl/ documenten-bank/

4. Medicatie en voorschriften

Implantologie brengt vaak medicatie met zich mee, zoals antibiotica of pijnstillers. Zorg ervoor dat het team volledig op de hoogte is van de meest recente richtlijnen over medicatiegebruik en interacties. Werk nauw samen met apotheken om eventuele fouten te voorkomen.

Tip: Creëer een standaardlijst met voorschriften voor veelvoorkomende situaties en zorg dat deze toegankelijk is voor het team. Voorzie het recept met informatie over gebruik van medicijnen. Overweeg om het recept direct naar de apotheek van de patiënt te mailen met de patiënt in cc.

5. Nazorg als sleutel tot succes

Nazorg is een cruciaal onderdeel van implantologie. Regelmatige controles, mondhygiëne-instructies en een duidelijke nazorgplanning verbeteren niet alleen het resultaat, maar ook de patiënttevredenheid.

Tip: Plan standaard nazorgafspraken in, bijvoorbeeld na een dag, een week en een maand na de implantatie en bied patiënten een direct aanspreekpunt bij vragen of complicaties (bijvoorbeeld de implantologie assistent).

6. Efficiënte planning en logistiek

Implantologiebehandelingen vereisen zorgvuldige planning vanwege de complexiteit en benodigde apparatuur. Wijs één verantwoordelijke aan voor de bestellingen van implantologie: de implantaten, abutments, chirurgische sets en benodigdheden. Gebruik een geavanceerd planningssysteem om de logistiek van afspraken, apparatuur en personeelsbezetting te stroomlijnen.

Reserveer tijdsblokken voor implantologie om verstoringen in de algemene praktijkplanning te minimaliseren en de gewenste aantallen per jaar in te kunnen plannen. Overleg (in het begin) vooraf met de tandtechnieker over positie implantaat, afdrukof scanposts, de vormgeving, het type abutment, het vastschroeven of cementeren van de suprastructuur.

Tip: Richt een ‘tray systeem’ in met transparante (stapel)bakken waarin de benodigdheden per operatie kunnen worden klaargelegd. Dit kan de (omloop) assistent de dag ervoor al doen waardoor de flow makkelijker is op de dag zelf. Investeer in sterilisatiecontainers (in plaats van doeken) en sterilisatie cassettes (baskets) voor milieu, opslagruimte en overzicht. Werk met (kleur)labels om de verschillen in boxen duidelijk aan te geven.

7. Inwerken van personeel

Het succes van implantologie in jouw praktijk hangt sterk af van een goed opgeleid team. Zorg voor uitgebreide training voor tandartsen, assistenten en receptionisten. Bied een (externe) cursus aan of laat het team observeren bij een ervaren implantoloog. Maak een filmpje bij het inwerken. De trainee kan de

Het Nobel Biocare N1™ Base Concept

De aanhechting van de peri-implantaire weke delen (mucointegratie) speelt een belangrijke rol in het lange-termijnsucces van implantaat-gedragen constructies/oplossingen.

Inwendig schroefdraad in de N1™ Base voor verbeterde precisie

3 verschillende hoogtes voor restauratieve flexibiliteit

Hoewel er vele factoren zijn die bijdragen aan het succes of falen van dergelijke constructies, zijn de kwaliteit en kwantiteit van de peri-implantaire mucosa cruciaal.

De peri-implantaire weke delen kunnen beïnvloed worden door:

• Het materiaal en de bewerking van het oppervlak van het implantaat en het abutment

• Het ontwerp van de abutment/implantaat-verbinding

• Prothetische manipulaties (bijvoorbeeld herhaaldelijk loskoppelen van het abutment)

Het “One abutment, one time”-concept

Deze bevindingen hebben geleid tot de ontwikkeling van een weefselvriendelijk concept waarbij het steriele definitieve abutment wordt geplaatst tijdens de chirurgische ingreep.

Met deze methode blijft dit abutment onaangeroerd gedurende het gehele behandelproces.

Dit bereikt u met de innovatieve Nobel Biocare N1™ Base. Dit tweedelige abutment wordt geplaatst tijdens de implantaatoperatie en blijft gedurende de gehele prothetische behandeling in situ om de aanhechting van de peri-implantaire weefsels te behouden.

Trioval design van de N1™ base, speciaal ontworpen voor de esthetische zone

Verschillend schroefdraad van NP en RP om verwisseling van componenten te voorkomen

De N1™ Base heeft een triovale vorm en is voorzien van het Xealoppervlak, dat superieur is voor de muco-integratie.

Kom meer te weten over de unieke kenmerken van het Nobel Biocare N1™-systeem:

Roadshow

Ontdek het Nobel Biocare N1™ Systeem met Parodontoloog Pieter Avontroodt

Ontvangst met hapje en drankje: 18:00

Start presentatie: 19:00 | Einde presentatie: 21:00

Dinsdag 18 Maart 2025 Woerden Donderdag 20 Maart 2025 Zwolle Maandag 24 Maart 2025 Eindhoven

Meld je nu aan via info.nobelbiocare.com/nl/roadshow2025

opname terugkijken en een toekomstige trainee kan het inwerkfilmpje vooraf aan het inwerken bekijken. Heb foto’s van de cassettes (trays) per operatie binnen handbereik, zodat iedere assistente de cassette volledig inricht en de implantoloog niet misgrijpt.

Tip: Laat de implantoloog defect instrumentarium (boren) gelijk na de operatie zelf verwijderen, zo kan het missend instrumentarium aangevuld worden vooraf aan sterilisatie.

Conclusie

Specialisatie in implantologie is een waardevolle stap voor tandartspraktijken, mits goed voorbereid en uitgevoerd. Door aandacht te besteden aan protocollen, communicatie, nazorg en personeelsont-

Advertentie

Dental Coach; jouw partner in preventieve mondgezondheid

Het veranderen van de patiënt zijn gebitsverzorging; het blijft een lastige taak voor jou als mondzorgprofessional. Maar niet met de Dental Coach app. Deze gebruiksvriendelijke en makkelijk te installeren app maakt de patiënt bewust van zijn gedrag, biedt online coaching mogelijkheden én complementeert jouw zorg!

Probeer Dental Coach nu 3 maanden gratis uit!

wikkeling, kun je niet alleen de kwaliteit van zorg verhogen, maar ook jouw praktijk onderscheiden en je werkplezier verhogen. Neem de tijd om jouw processen te evalueren en te optimaliseren.

De auteur

Caroline Cuppens is bedrijfskundige, mede-eigenaar bij T.X. de Jong Tandzorg in Amersfoort, docent en auteur van het boek ‘Management in de Mondzorg’.

Heb je vragen of behoefte aan ondersteuning bij de implementatie van implantologie? Neem gerust contact op: info@txdejong.nl

Wat levert het op?

Tijdsbesparing

Kostendeclaratie (code M01)

Gemotiveerde patiënten

Gezonde patiënten

Moderne uitstraling van de praktijk

www.dentalcoach.app

Een heel bijzonder syndroom met orale kenmerken

Ongeveer 1 op de 200.000 mensen heeft PTEN hamartoom tumor syndroom (PHTS). Dit omvat een spectrum van aandoeningen veroorzaakt door mutaties in het PTEN-gen, waarbij goedaardige gezwellen, zogenaamde hamartomen, zich ontwikkelen in verschillende delen van het lichaam. Een van de belangrijkste en meest voorkomende klinische verschijnselen van PHTS is gingivale overgroei die zich presenteert als wratachtige knobbels.

Casusbeschrijving

Een 48-jarige vrouw werd door haar tandarts verwezen naar onze praktijk omwille van parodontale problematiek. Er was sprake van verdiepte pockets. Uit de anamnese bleek dat zij, nadat ze jarenlang onverklaarbare klachten had, op 23-jarige leeftijd werd gediagnosticeerd met het PTEN Hamartoom Tumor Syndroom (PHTS).

Bij het klinisch onderzoek werden lokaal verdiepte pockets van 4 tot 7 mm waargenomen, en ook een verhoogde bloedingsneiging na sonderen (40%) en aanwezigheid van recessies. Er werd gelokaliseerd gevorderde (stadium III), matig progressieve (graad B) parodontitis vastgesteld. Daarnaast werden meerdere zwellingen en verhevenheden waargenomen in onder andere de wangmucosa, tong, palatum en op de gingiva en mucosa van zowel de boven- als onderkaak.

Beschouwing

PHTS is een autosomaal dominante aandoening. Het wordt veroorzaakt door mutaties in het PTEN-gen (zie box 1). Dit gen codeert voor een eiwit dat func-

tioneert als een tumorsuppressor. Hoewel deze zeldzame genetische aandoening voornamelijk gepaard gaat met benigne tumoren, is er ook een erkend verhoogd risico op maligniteiten. Dit komt doordat PTEN een gen is dat in zijn normale functie in staat is de progressie van verschillende vormen van kanker te remmen.

Mutaties in PTEN verstoren deze functies, leidend tot een verhoogd risico op de vorming van hamartomen en maligniteiten. Patiënten met PHTS hebben een cumulatief levenslang risico van 81%–90% om kanker te ontwikkelen. Het verhoogde risico is gerapporteerd voor verschillende soorten kanker: borstkanker (25–85%), schildklierkanker (14–35%), niercelkanker (17–34%), endometriumkanker (19–29%), colorectale kanker (9–16%) en melanoom (6%). De orale mucosa is vaak aangedaan, met manifestaties in de mondholte die bij 80-90% van de patiënten voorkomen in de vorm van herkenbare papillomateuze laesies. Hoewel deze meestal asymptomatisch zijn, kunnen ze door hun omvang of locatie leiden tot functionele of esthetische problemen. Hierbij kan gedacht worden aan verstoring van de mondfunctie en zelfzorg of verhoogde plaque-accumulatie. Bij aangetoonde interferentie kan chirurgische excisie door een parodontoloog of kaakchirurg aangewezen zijn (Feito-

sa et al., 2011). Ook kan er sprake zijn van een verhoogde vatbaarheid voor parodontale aandoeningen (Perić et al., 2018). Mondzorgprofessionals moeten op de hoogte zijn van het PHTS-spectrum. Gingivale overgroei die niet past bij andere, meer voorkomende diagnoses, zou aanleiding moeten geven tot onderzoek naar extraorale kenmerken. Het tijdig stellen van een diagnose door een mondzorgverlener kan van levensbelang zijn voor deze patiënten.

De diagnose van PHTS wordt gesteld door een combinatie van klinische evaluatie, familiegeschiedenis en genetisch onderzoek. Orale manifestaties, zoals gingivale hypertrofie, hamartomen, orale papillomen en een hoog verhemelte ontwikkelen zich vaak tijdens de kindertijd en adolescentie en worden bij de meerderheid van de volwassenen met PHTS aangetroffen. De aanwezigheid van extra-orale mucosale of cutane overgroeien versterkt de diagnose van een genetisch bepaald syndroom.

In 1999 werd de term PTEN Hamartoom Tumor Syndroom geïntroduceerd om een groep aandoeningen

te definiëren die gekarakteriseerd worden door een PTEN-mutatie en de daarbij behorende bijzondere klinische manifestaties. PHTS is een overkoepelende term voor een groep syndromen die het gevolg is van de PTEN-mutaties, waaronder:

1. Het Cowden syndroom: de meestvoorkomende manifestatie van PHTS, gekenmerkt door multipele hamartomen en een verhoogd risico op specifieke soorten kanker (zie ook box 2).

2. Bannayan-Riley-Ruvalcaba-syndroom (BRRS): wordt vaak gekenmerkt door macrocefalie, lipomen, en pigmentvlekken op de penis bij mannen.

3. Proteus syndroom: gekenmerkt door overmatige groei van botten, huid en andere weefsels.

4. Proteus-like syndroom: een variant van Proteus syndroom met vergelijkbare maar minder uitgesproken kenmerken.

Het Cowden syndroom, waarmee onze casus werd gediagnosticeerd, ook wel het Multiple Hamartoma Syndrome genoemd, werd voor het eerst beschre-

PTEN (phosphatase and tensin homologue, deleted on chromosome ten) is een tumorsuppressorgen dat codeert voor een lipide- en eiwitfosfatase. Het PTEN-gen is betrokken bij de regulatie van de celcyclus door het repareren van DNA, het programmeren van apoptose (celdood) en het voorkomen van snelle celgroei en celdelingen.

De term hamartoom is afgeleid van het Griekse woord ‘hamartia’, wat verwijst naar een defect of een fout. Deze term werd oorspronkelijk in 1904 geïntroduceerd door Albrecht om ontwikkelingsachtige tumorachtige misvormingen aan te duiden. Een hamartoom is een goedaardige, tumorachtige laesie die ontstaat door een abnormale proliferatie van cellen. Er is sprake van een gedifferentieerde verzameling van cellen die normaal functioneel zijn, zoals epitheel- en bindweefselcellen, maar met een verstoorde architectuur. Deze abnormale groei is niet invasief en metastaseert niet. Hamartomen kunnen in diverse organen voorkomen en variëren vaak in grootte. Box 1.

5 en 6. Occlusaal beeld
1 en 2. Frontaal beeld
3 en 4. Lateraal beeld

ven in 1940 door Salem en Steck. In 1963 werd het Cowden syndroom gedefinieerd en benoemd door Lloyd en Dennis, naar hun patiënt Rachael Cowden, die overleed aan borstkanker. Zij was een 20-jarige vrouw met mucocutane laesies en afwijking aan de schildklier, borsten, en maag-darmkanaal. Op basis van die casus werd deze conditie ‘Cowden Syndrome’ genoemd. De diagnostische criteria werden in 1996 herzien in een consensus van een internationaal consortium van onderzoekers en later werd de correlatie tussen PTEN en het Cowden syndroom geïdentificeerd (Gustafson et al., 2007, Flores et al., 2014).

De aanvangsleeftijd varieert tussen de 4 en 75 jaar, met een gemiddelde leeftijd van diagnose van 39 jaar. Veel van de symptomen en tekenen, vooral de der-

7 en 8. Hamartomen ter plaatse van de wangmucosa links en rechts, en ook bij de omslagplooi in het vierde kwadrant

matologische manifestaties, komen vaak voor in de algemene bevolking en worden gemakkelijk over het hoofd gezien. Dit feit, evenals de variabiliteit van de kenmerken, maakt het waarschijnlijk dat het Cowden syndroom niet tijdig herkend wordt en dat de werkelijke incidentie waarschijnlijk veel hoger is dan 1/200.000. Bij ongeveer 40% van de oudere volwassenen met het Cowden syndroom werd de diagnose gesteld door mondzorgprofessionals, en dit was meestal gebaseerd op klachten van ongemak veroorzaakt door orale papillomatose, om esthetische redenen of tijdens het dragen van een (partiële) prothese.

Bij volwassenen met PHTS wordt gingivale hypertrofie in 94% van de gevallen gerapporteerd en orale papillomen in 88% (Schei-Andersen et al., 2024).

9-11. Kenmerkend geplaveid beeld met papillomateuze (wratachtige) laesies op de tong

12 en 13. Hoog palatum met nodulaire (knobbelachtige) verdikkingen en fibromateuze laesies

Deze kunnen progressief meer uitgesproken worden naarmate de leeftijd toeneemt. Orale papillomen kunnen zich op verschillende locaties manifesteren, zoals de tong, gingiva en wangmucosa. Bij patiënten met PHTS worden papillomen vaak gezien op de dorsale zijde van de tong, waar ze een geplaveid uiterlijk kunnen vertonen (Schei-Andersen et al., 2024). Deze orale kenmerken, waaronder ook een hoog palatum, kunnen belangrijke aanwijzingen bieden voor de vroegtijdige herkenning van PHTS.

Over de relatie tussen PHTS en parodontitis is slechts beperkt onderzoek beschikbaar. Parodontitis lijkt bij patiënten met PHTS ernstiger te verlopen in vergelijking met de algemene populatie. Dit kan worden verklaard door de rol van het PTEN-gen in celgroeiregulatie, apoptose en ontstekingsprocessen. PTEN-mutaties kunnen leiden tot een disbalans in de immuunrespons, wat resulteert in een verhoogde vatbaarheid voor infecties en een verstoorde wondgenezing. Bovendien kunnen systemische ontstekingsprocessen die vaak bij PHTS voorkomen, bijdragen aan het parodontaal aanhechtingsverlies (Perić et al., 2018).

Er is geen behandeling voor het Cowden syndroom dat leidt tot genezing. Hoewel de orale mucosa en gingivale overgroei op zich geen intrinsieke morbiditeit met zich meebrengt, kan het de mondgezondheid aanzienlijk beïnvloeden. Mondzorgverleners zouden daarom wel de orale laesies aan kunnen pakken om een goede mondverzorging te bevorderen. Ook moeten patiënten geïnformeerd worden over de mogelijke ontwikkeling van interne hamartomen naar maligniteiten. Het belang van regelmatige (periodieke) follow-ups bij specialisten gedurende hun leven moet benadrukt worden.

Zoals eerder geschreven spelen mondzorgverleners een belangrijke rol bij de diagnose en behandeling van orale slijmvliesafwijkingen en gingivale hypertrofie. Het is van belang om plaque gerelateerde laesies van de gingiva (die worden gekenmerkt door roodheid, gevoeligheid en bloeding in de aanwezigheid van biofilm) te kunnen onderscheiden van niet-plaque gerelateerde laesies. Plaque gerelateerde zwellingen komen meestal voor in de marginale gingiva en verbeteren na verwijdering van de biofilm. Daarentegen vertonen niet-plaque gerelateerde laesies vaak geen tekenen van roodheid of zwelling, zelfs niet bij een ontoereikende mondhygiëne. Dergelijke laesies kunnen in de gehele mondholte aanwezig zijn, waaronder de tong en palatinale mucosa.

Terug naar onze casus

Bij deze patiënt werd initiële parodontale behandeling uitgevoerd, bestaande uit uitgebreide supra- en subgingivale gebitsreiniging en mondhygiëne instructie. Bij de evaluatie was significante verbetering in de algehele parodontale conditie waar te nemen. Klinisch was sprake van fraaie reductie van de pockets en een sterke daling van de bloedingsneiging na sonderen. Wel bleek sprake van een exacerbatie van de PHTS. Dit uitte zich onder andere in een toename van de gingivahyperplasie, met name ter plaatse van de papillen in het derde kwadrant. Ook was sprake van een toename in de grootte van de hamartomen in de wangmucosa. Dergelijke opvlammingen kunnen periodiek voorkomen en uitgelokt worden door verschillende factoren, waaronder het weer. Omwille van de verhoogde gevoeligheid voor parodontale ontsteking, werd een strikt nazorgprotocol met driemaandelijks interval geadviseerd.

Conclusie

Patiënten met PHTS hebben een verhoogde vatbaarheid voor ontstekingen en een verstoorde wondgenezing, waardoor strikte nazorg en regelmatige controle van groot belang zijn. Mondzorgverleners moeten waakzaam zijn voor signalen van parodontale problematiek en infectie. Bij chirurgische ingrepen, zoals extracties of implantaatplaatsing, is het belangrijk om rekening te houden met de vertraagde genezing en verhoogde risico’s op postoperatieve complicaties. De belangrijkste implicatie van het Cowden syndroom en PHTS is het verhoogde risico op maligniteiten, tot het punt dat de ontwikkeling van maligniteiten onderdeel uitmaakt van de diagnostische criteria. Dit risico vereist een levenslange strikte controle voor secundaire oncologische preventie. Een gestructureerd nazorgprotocol en multidisciplinaire samenwerking zijn hierin de sleutelwoorden.

De auteur

Moaad Alami uit de Paro Praktijk Utrecht

Referenties

De literatuurlijst is op te vragen bij de redactie en in te zien bij het artikel online op www.dentista-magazine.nl

PERSONEEL

Oplossing voor je personeelstekort?

Doorwerkende 67-plussers

De arbeidsmarkt in Nederland is krap. De mondzorg is daarop geen uitzondering. Tegelijkertijd zien mijn collega’s en ik steeds meer vlotte, actieve en gemotiveerde 67-plussers die als gepensioneerde tandarts, mondhygiënist of assistent graag nog een bijdrage aan de Nederlandse mondzorg leveren. Wat motiveert deze ervaren krachten om actief te blijven? Hoe combineren zij hun passie voor het vak met de uitdagingen van het ouder worden? In dit artikel onderzoeken we waarom doorwerken in de mondzorg na de pensioenleeftijd zo waardevol is – voor de professional, de praktijk en de patiënt.

Waarom doorwerken in de mondzorg?

Passie voor het vak. Veel mondzorgprofessionals hebben een sterke band met hun vak. Ze halen voldoening uit het helpen van patiënten, het oplossen van complexe problemen en het zien van directe resultaten. Voor veel 67-plussers is het idee om volledig te stoppen met werken maar moeilijk voor te stellen. “Ik geniet nog elke dag van mijn werk,” zegt Rutger (74) tandarts bij een mondzorg poli. “Het werk is te leuk om ermee op te houden.” Bijdrage aan de sector. De mondzorgsector kampt met tekorten, waardoor de ervaring van oudere professionals van onschatbare waarde is. Hun expertise en vakkennis zijn belangrijk voor de continuïteit van zorg, vooral in praktijken waar het lastig is om nieuwe collega’s te vinden. Daarnaast fungeren deze senioren vaak als mentor of opleider voor jongere generaties. Doorwerkende mondzorgprofessionals

geven aan dat de waardering van patiënten en collega’s en het nog van betekenis zijn, een belangrijke drijfveer is om te blijven werken.

Financiële overwegingen. Hoewel passie vaak een grote rol speelt, zijn financiële redenen soms ook een belangrijke factor. Voor sommige professionals is doorwerken een manier om hun pensioen aan te vullen, om nog te kunnen genieten van een bepaalde levensstijl, of om een financiële tegenvaller op te vangen. De combinatie van werkplezier en extra inkomen maakt het aantrekkelijk om actief te blijven. Werken verjongt. De dagelijkse realiteit van werken na je 67ste verschilt per persoon. De senioren die ik voor dit artikel sprak, werkten doorgaans twee dagen per week, in hetzelfde tempo als voorheen.

“Achter de geraniums zitten heeft ook geen zin,” zegt Iole, een assistent die nog twee dagen aan de stoel werkt. Ik krijg de indruk dat ik spreek met vlotte, energieke senioren, die hun levenslust graag behouden en realiseren dat ze door te werken juist fitter blijven.

“Je blijft meer in de maatschappij en bent daardoor beter op de hoogte van maatschappelijke ontwikkelingen,” benadrukt May Lan Kam, die inmiddels 71 jaar is en nog twee dagen werkt als tandarts. Door veel te bewegen (liefst buiten), door te zwemmen, maar zeker ook door te werken, wordt ze goed moe, slaapt ze goed én blijft ze gezond en fit.

“Het doorwerken verjongt, het houdt je bij de les”, beaamt ook Selma, een 66-jarige tandarts die een praktijk had met 20 medewerkers en nu graag twee dagen per week als opdrachtnemer werkt. Maar niet gedurende de wintermaanden, die brengt ze het liefst door in Spanje.

Aanpassingen op de werkvloer

Oudere professionals ervaren soms fysieke uitdagingen, zoals rug- of nekklachten door langdurig werken in dezelfde houding. Praktijken die investeren in ergonomie en flexibele roosters maken het makkelijker voor hen om hun werk vol te houden. Een loepbril of wat meer aandacht voor ergonomische stoelen en verstelbare apparatuur, draagt ook bij.

Technologie en bijblijven

Een andere uitdaging is de snelle technologische ontwikkeling in de mondzorg. Nieuwe software, behandelmethodes en apparatuur vragen om aanpassingsvermogen. Toch zien de oudere professionals die ik sprak dit niet als een probleem. Het houdt je scherp en bij de les, laten ze weten. Bovendien merken ze niet dat het voor hen lastiger is om nieuwe technieken onder de knie te krijgen. Ze benaderen nieuwe uitdagingen met nieuwgierigheid en interesse.

Aanbod en vraag: flexibiliteit

De senior mondzorgprofessionals benadrukken allemaal dat ze het flexibel en parttime werken waarderen. Maar ze zijn op hun beurt ook flexibel inzetbaar voor praktijken, vaak in uren die moeilijk te vullen zijn met drukke midlifers. Werken in het weekend is geen probleem, laat bijvoorbeeld Selma weten. Rutger werkt drie avonden in de week, en heeft zelfs nachtdiensten.

Doorwerkende

Juridische voordelen van werknemers van 67-plus

Voor werkgevers zijn er ook juridische voordelen bij het in loondienst nemen van 67-plussers. De wet biedt specifieke regelingen die dit aantrekkelijker maken.

Verkorte ketenbepaling

Voor werknemers die de AOW-leeftijd hebben bereikt, geldt een verkorte ketenbepaling. Waar normaal gesproken na drie tijdelijke contracte n binnen een periode v an drie jaar een vast contract moet worden aangeboden, geldt voor AOW-gerechtigde werknemers een periode van vier jaar waarin zes tijdelijke contracten kunnen worden aangeboden. Dit biedt werkgevers meer flexibiliteit om tijdelijke contracten aan te bieden zonder direct vast te zitten aan een langdurige verplichting.

Verkorte loondoorbetalingsplicht bij ziekte

Een ander voordeel is de verkorte periode van loondoorbetaling bij ziekte. Voor werknemers die de AOW-leeftijd hebben bereikt, is deze periode beperkt tot maximaal 13 weken, in plaats van de gebruikelijke 104 weken voor 67-minners. Dit verkleint het risico voor werkgevers aanzienlijk en verlaagt de kosten en re-integratie plichten als een oudere werknemer onverhoopt ziek wordt.

Geen transitievergoeding bij ontslag

Ook zijn werkgevers niet verplicht een transitievergoeding te betalen aan AOW-gerechtigde werknemers bij ontslag. Dit maakt het financieel minder belastend om arbeidsrelaties met oudere werknemers te beëindigen, mocht dat nodig zijn. Bovengenoemde regelingen maken het voor praktijken in de mondzorg aantrekkelijk om ervaren krachten langer in dienst te houden of opnieuw aan te nemen na hun pensioenleeftijd. Het biedt zowel flexibiliteit, kostenbesparing en aanzienlijk minder financiële risico’s, terwijl de praktijk profiteert van hun expertise. Bij het inzetten van zzp’ers bestaan deze risico’s in het geheel niet. De flexibiliteit die de meeste senioren graag willen in de samenwerking, zorgt er in de meeste gevallen voor dat de werken op basis van een overeenkomst van opdracht de meest logische samenwerkingsvorm is.

Anesthesia & Intensive Care Services B.V.:

AIC is gespecialiseerd in het verzorgen van hoogwaardige medische zorg binnen de anesthesiologie en intensive care geneeskunde.

Met ons VOLWAARDIG MOBIEL ANESTHESIETEAM inclusief apparatuur, monitoring, medicatie, gasvoorziening, disposables en al het nodige personeel kunnen wij op een voor u wenselijke locatie op 4 behandelkamers tegelijk algehele anesthesie toedienen aan uw cliënten, zonder dat u ook maar iets hoeft aan te passen aan de inrichting van uw kliniek.

Tandheelkundige klinieken die behandelingen onder algehele anesthesie willen aanbieden:

Als u aan uw cliënten behandelingen onder algehele anesthesie wilt aanbieden zonder dat u dure investeringen hoeft te doen in uw kliniek, dan bent u bij ons aan het juiste adres. Wij kunnen met ons MOBIEL ANESTHESIETEAM in elke kliniek op 4 behandelkamers tegelijk volledig de anesthesie verzorgen zonder dat u daar naar hoeft om te kijken. Wij zijn volledig selfsupporting. Wij kunnen in elke tandartspraktijk de anesthesie verzorgen. Uw praktijk hoeft dus niet aan speciale voorwaarden te voldoen!!

Bel voor een gratis en vrijblijvende offerte:

Schroom niet om te bellen of te emailen voor een gratis en vrijblijvende offerte. Zonder enige verplichting komen wij graag bij u langs om de situatie in uw kliniek te beoordelen en de wensen en mogelijkheden met elkaar te bespreken.

De toekomst: wat kunnen we leren van deze ervaren krachten?

De verhalen van May Lan, Iole, Rutger, Selma en anderen laten zien dat doorwerken na je pensioen niet alleen draait om financiële overwegingen, maar ook om passie, voldoening en het gevoel van betekenis. Voor jongere generaties biedt dit waardevolle lessen over het belang van werkplezier en levenslange ontwikkeling. “Pas nu, na 41 jaar, beheers ik eindelijk het vak”, grapt Selma. Ze deelt haar ervaring graag met haar praktijkgenoten. May Lan laat ook weten dat ze door haar ervaring nu evenwichtiger, ontvankelijker en wijzer is in haar vakuitoefening.

Een inspiratie voor anderen

Voor veel 67-plussers in de mondzorg is doorwerken geen plicht, maar een voorrecht. Hun verhalen zijn een inspiratie voor anderen die twijfelen over hun toekomst na de pensioenleeftijd. Zoals Selma zegt: “Als je iets doet waar je van houdt, voelt het niet als werken, het is vooral leuk”. Na 41 jaren aan de stoel, is het tandarts zijn ook een deel van haar identiteit geworden, laat ze weten.

Doorwerken in de mondzorg na je 67ste biedt talloze voordelen, zowel voor de professional zelf als voor de sector. Het zorgt voor continuïteit, kennisoverdracht en een waardevolle bijdrage aan de zorg. Tegelijkertijd kan het fysieke en mentale uitdagingen met zich meebrengen, die met de juiste ondersteuning en aanpassingen goed te overwinnen zijn. Juridische voordelen maken het aantrekkelijk voor werkgevers om juist deze ervaren krachten in dienst te nemen. Voor veel mondzorgprofessionals is blijven werken een manier om actief en betrokken te blijven, en dat maakt hun bijdrage onmisbaar.

De auteur

Valesca Nederlof werkt bij Dental Care Professionals, waar werving en selectie voor de mondzorg de kerntaak is. Ben jij senior werknemer of opdrachtnemer in de mondzorg, en wil je nog een dag of twee, of zelfs meer, blijven werken? Neem contact met ons op. Ben je praktijkmanager of -houder en kan je een ervaren senior mondzorgprofessional de flexibiliteit en betekenis bieden waar ze naar op zoek zijn? Dan horen we ook graag van je. www.dentalcareprofessionals.nl

Een podcast voor ‘gewone’ mensen

Breek me de bek niet open

In de podcast Breek me de bek niet open nemen restauratief tandarts Paul de Kok en journalist Jan van Tienen ‘gewone’ mensen mee in de wereld van mondzorg. Met humor en een informele toon behandelen zij onderwerpen zoals angst voor de tandarts, mondverzorging en de maatschappelijke impact van een slecht gebit. In dit interview vertellen Paul en Jan over hun inspiratie voor de podcast en wat ze hopen te bereiken met deze serie.

Hoe zijn jullie op het idee gekomen om een podcast te maken over tanden en kiezen?

Paul: “De laatste jaren heb ik regelmatig lezingen gegeven om collega-tandartsen te informeren, maar ik vond het ook belangrijk om de ‘gewone’ mensen te bereiken. Ik heb een aantal mediaoptredens gedaan en daarbij merkte ik dat er veel respons kwam, juist van uit deze mensen. Er is simpelweg heel weinig toegankelijke informatie beschikbaar voor de leek. Veel mensen durven geen vragen te stellen aan de tandarts, omdat ze bang zijn voor de rekening of zich ongemakkelijk voelen. Als ze zelf gaan zoeken, stuiten ze vaak op commerciële websites of alternatieve platforms die vaak onbetrouwbare informatie bieden. Er gaat ook veel onzin rond op social media. Er zijn wel goede kanalen, zoals PubMed of het Ivoren Kruis, maar die zijn vaak niet aantrekkelijk voor het

brede publiek. Daarom wil ik eerlijke, goed gefundeerde informatie op een leuke manier delen. Ik ging op zoek naar een medium waarmee ik een breder publiek kon bereiken. Een podcast leek mij ideaal, omdat je daar meer tijd hebt om dieper in onderwerpen te duiken. Op televisie moet alles vlug en kort.”

Paul vertelt hoe hij toen al snel uitkwam bij zijn jeugdvriend Jan. Hij vervolgt: “Als je mij over tandheelkunde laat praten, is dat niet zo aantrekkelijk, want dan stop ik niet meer. Ik had daarom een tafelgenoot nodig. Ik ken Jan van mijn middelbareschooltijd. Toen wij op een avond doorzakten in het café, zagen we meteen de perfecte combinatie: Jan’s journalistieke achtergrond en satire, en mijn ervaring als tandarts.”

Jan: “Als journalist vind ik het ontzettend interessant om in gesprek te gaan met iemand die veel van een onderwerp afweet. Ik hou ervan om in een an-

dere wereld te duiken en iets tot op de bodem uit te zoeken. Het maken van deze podcast met mijn kameraad Paul zie ik als een mooie buitenkans.” Paul voegt daaraan toe: “Tandartsen zijn ‘biased’, we vertellen al gauw iets vanuit ons eigen perspectief, en dat maakt Jans inbreng zo waardevol. Door Jans frisse, kritische blik kunnen we de informatie beter bij de ‘gewone’ mensen brengen.”

Wat willen jullie bereiken met deze podcast?

Jan: “Een van mijn doelen is om luisteraars te motiveren om beter voor hun tanden te zorgen. Als ik bijvoorbeeld net van de tandarts kom, poets ik weer veel beter en netter. Het zou geweldig zijn als, na het luisteren naar onze podcast, iemand een week lang heel goed zijn tanden poetst.”

Jan van Tienen (l) en Paul de Kok (r)

Accurate. Fast. Easy. As always!

Award-winning TRIOS technology distilled down to its most essential and affordable form. That’s TRIOS Core. Accurate, fast and easy, for a great send-to-lab experience.

No compromises

Paul: “Ja, jouw originele doel was om gaatjes de wereld uit te helpen.” Jan: “Maar toen we de hoogleraar cariologie spraken, bleek dit lastiger dan ik dacht.” Hij vervolgt: “We pakken elke aflevering een relevante invalshoek, vanuit een journalistiek oogpunt. Het moet urgent zijn voor de luisteraar. De eerste aflevering gaat bijvoorbeeld over angst en schaamte bij de tandarts. Het doel is dat mensen na het luisteren van deze aflevering met minder angst naar de tandarts gaan. Het is echt een mooi gesprek geworden, met concrete tips over hoe je angst kunt aanpakken.”

Welke onderwerpen worden nog meer besproken in de podcast?

Paul: “We hebben een aflevering over esthetiek, waarin we bijvoorbeeld bespreken waarom mensen schoonheid als zo waardevol beschouwen en daar-

voor invasieve behandeling ondergaan, zoals in het geval van Donny Roelvink, die zijn tanden heeft laten afslijpen voor kronen. We behandelen ook gatjes: wat zijn ze, hoe ontstaan ze, en belangrijker, waarom hebben mensen ze nog steeds? Daarnaast komt er een aflevering over slechte adem en de gevolgen daarvan. We willen ook de kosten van tandheelkundige zorg bespreken, en waarom deze zorg niet voor iedereen bereikbaar is. De rode draad in alle afleveringen is het maatschappelijke aspect van tandheelkunde. Er blijkt steeds weer dat de toegang tot goede mondzorg vaak afhangt van je maatschappelijke status en middelen.”

Jan: “Een podcast is eigenlijk net als een magazine. Je wil een paar elementen die goed zijn. Daarom hebben we ook rubrieken, zoals ‘Bekende Bekken’. Daarin laat ik Paul foto’s zien van het gebit van een bekend persoon, en hij reageert daarop vanuit zijn rol als tandarts. Erg grappig als je het mij vraagt.”

Paul: “Tijdens het opnemen van de podcast komen we ook op onderwerpen waar we in eerste instantie niet aan hadden gedacht.” Jan: “Dat vind ik juist zo leuk aan deze podcast. De vraag die ik vaak krijg is ‘Waarom zou je een hele podcast maken over tandheelkunde?’ Maar ik ben altijd weer verbaasd over hoeveel er wel te vertellen is en hoeveel er te bevragen valt. Die verrassing spreekt mij heel erg aan.”

Paul: “En dat is ook het punt: waarom is er eigenlijk geen podcast over tandheelkunde? Het raakt iedereen, of het nu om je kind gaat of om jezelf.”

Hoe zorgen jullie ervoor dat de podcast toegankelijk blijft, zonder te veel jargon te gebruiken?

Paul: “De podcast blijft toegankelijk door tijdens de afleveringen mijn patiënten aan het woord te laten. Zij hebben bijvoorbeeld ervaring met angst voor de tandarts, lopen met vragen rond, of hebben een ervaring met bepaalde behandelingen, en dat maakt de podcast praktisch. Ze delen niet alleen wat ze hebben meegemaakt, maar ook hoe dat hun leven heeft bei nvloed. Soms zeggen ze zelfs eerlijk dat hun angst er nog steeds is, maar dat ze nu handvatten hebben om ermee om te gaan.”

Jan: “Het helpt luisteraars om andere mensen vanuit ervaring te horen spreken. Dat kan hen aanzetten om juist wel naar de tandarts te gaan. Daarnaast zorgen

14 11 ‘25

Ontvangst vanaf 13.00 uur

Westergasfabriek, Amsterdam

Een greep uit het programma:

Prof. dr. Erwin Berkhout: Van Historie naar Horizon: Innovatie en AI in de Tandheelkundige Röntgendiagnostiek

Marga Ree MSc: Blik op de toekomst na 45 jaar endo: wat is de sleutel tot succes?

Dr. Wiebe Derksen: De zin en onzin van Guided Surgery

we voor een luchtige toon. Je ziet ons lachen en plezier hebben in de studio, zoals die keer dat we samen het Dua Lipa mixdrankje gingen proberen. Het gaat niet alleen om de inhoud, maar ook om de sfeer die we creëren.”

Paul: “Jan doet de redactie, dus hij komt vaak met verrassende vragen. Als ik dan te serieus op die vraag in ga, zorgt Jan voor de nodige satire zodat het niet te zwaar wordt. Als we live zijn, gaan we ook werken met vragen van luisteraars, wat de podcast interactief en leuk maakt.”

Jan: “Soms bespreken we ook gevoelige onderwerpen, zoals trauma’s of misbruiksituaties die mensen tegenhouden om naar de tandarts te gaan. We zorgen ervoor dat we een goede balans vinden, door experts uit te nodigen, zoals hoogleraren en specialisten, maar ook journalisten en politici. We letten wel op dat we niet te veel de diepte ingaan. Het is immers een podcast gericht op de leek, niet de professional. Je komt sneller tot de kern als je patiënten zelf aan het woord laat dan wanneer je alleen de autoriteiten laat spreken.”

Paul: “Na de eerste afleveringen zullen we ook om feedback van onze luisteraars vragen, zodat we de podcast steeds beter kunnen maken.”

Jan: “Bovendien hebben we een geweldig productieteam achter ons staan: Podcast Tailors. Ze waren meteen enthousiast toen we ons idee pitchten, en dat enthousiasme heeft ook aanstekelijk gewerkt tijdens het opnemen van de afleveringen.”

Wat kan de podcast betekenen voor voor tandartsen, mondhygiënisten of assistenten?

Paul: “Mondzorgprofessionals kunnen deze podcast aanraden aan hun patiënten. Er zijn al veel gezondheidspodcasts waarin over tandheelkunde wordt gesproken, maar vaak zonder echte expertise, of vanuit een alternatieve hoek. In onze podcast komen echt specialisten aan het woord en ik probeer de informatie zo eerlijk en objectief mogelijk te houden. Het zou fantastisch zijn als patiënten via onze podcast meer leren over mondgezondheid en de mogelijkheden die er zijn, en daardoor ook beter voor hun eigen gebit gaan zorgen. Voor mondzorgprofessionals zelf zal de podcast misschien minder direct bijdragen, maar ik

merk wel dat wanneer ik op tv verschijn, ik veel positieve reacties krijg van professionals. Ze zijn blij dat een onderwerp op een goede manier wordt verwoord, zodat het écht bij de patiënt aankomt. En als je zelf geen tijd hebt om patiënten voldoende te informeren, is onze podcast ook een mooie oplossing.”

Beluister de podcast en geef input!

De eerste serie van 4 afleveringen is te beluisteren op Spotify. Heb je een interessant onderwerp of een vraag die je graag wilt laten behandelen in de podcast? Of heb je tips, ervaringen of inzichten die je wilt delen? Stuur dan een mail naar paul.dekok@kvpa.nl.

Podcast: breek me de bek niet open

Ga naar de podcast via de QR-code hiernaast.

De auteurs

Paul de Kok is restauratief tandarts op de Kliniek voor Parodontologie Amsterdam. Hij promoveerde op het vakgebied materiaalkunde en is een gepassioneerd docent en spreker op diverse cursussen en congressen.

Jan van Tienen is freelance journalist voor onder andere Volkskrant Magazine, NRC en De Speld. Daarnaast is hij auteur. Zijn laatste boek uit 2023, De verworvenheden of hoe je iemand wordt die ernaar verlangt op het eiland Hompelvoet te zijn, is een semi-satirisch zelfhulpboek.

Endpoints voor parodontale therapie

De afgelopen jaren zijn er meerdere artikelen en richtlijnen verschenen die succescriteria – in het Engels ‘endpoints’ genoemd – beschrijven om het succes van parodontale behandelingen te evalueren en om te bepalen of aanvullende (chirurgische) therapie noodzakelijk is. Een recent onderzoek van Rattu et al. 2023 heeft de praktische toepasbaarheid van deze criteria onder de loep genomen.

Belang van succescriteria

Het hebben van duidelijke succescriteria is essentieel om de uitkomst van een behandeling te kunnen beoordelen. Allereerst helpt het bij het inschatten of aanvullende therapie nodig is en of het behaalde resultaat op lange termijn stabiel blijft. Ubele van der Velden gaf ooit een lezing met de titel ”Response to Treatment: Our Chief Diagnostic Method”, waarin hij benadrukte dat na een niet-chirurgische parodontale therapie significante verbetering moet optreden. Gebeurt dit niet, dan kan enerzijds de behandeling van onvoldoende kwaliteit zijn, of er kan sprake zijn van een onderliggend probleem dat verder gaat dan een parodontale ontstekingsreactie door plaque en tandsteen.

Een tweede reden voor het vaststellen van succescriteria is verankerd in de Wet kwaliteit, klachten en geschillen zorg (Wkkgz). Deze wet stelt dat zorgverleners zich moeten baseren op wetenschappelijke richtlijnen om kwaliteit van zorg te waarborgen. In deze wet staat in artikel 7 onder meer het volgende:

Lid 1: De zorgaanbieder draagt zorg voor systematische bewaking, beheersing en verbetering van de kwaliteit van de zorg.

Lid 2: De verplichting van het eerste lid houdt, de aard en omvang van de zorgverlening in aanmerking genomen, in:

a] het op systematische wijze verzamelen en registreren

van gegevens betreffende de kwaliteit van de zorg op zodanige wijze dat de gegevens voor eenieder vergelijkbaar zijn met gegevens van andere zorgaanbieders van dezelfde categorie;

b] het aan de hand van de gegevens, bedoeld in onderdeel a, op systematische wijze toetsen of de wijze van uitvoering van artikel 3, eerste lid, leidt tot goede zorg;

c] het op basis van de uitkomst van de toetsing, bedoeld in onderdeel b, zo nodig veranderen van de wijze waarop artikel 3 wordt uitgevoerd.

Om de volledige reikwijdte van artikel 7 te begrijpen, is het illustratief om terug te grijpen naar artikel 3, lid 1, waarin het volgende staat:

De zorgaanbieder organiseert de zorgverlening op zodanige wijze, bedient zich zowel kwalitatief als kwantitatief zodanig van personele en materiële middelen en, voor zover nodig, bouwkundige voorzieningen en, indien hij een instelling is, draagt tevens zorg voor een zodanige toedeling van verantwoordelijkheden, bevoegdheden alsmede afstemmings- en verantwoordingsplichten, dat een en ander redelijkerwijs moet leiden tot het verlenen van goede zorg.

Het is duidelijk dat, om als zorgaanbieder te kunnen voldoen aan de vereisten van artikel 7, lid 2, er kwaliteitsindicatoren (in dit verband: succescriteria) nodig zijn die als hulpmiddel kunnen dienen om de zorg te evalueren en te vergelijken.

Richtlijnen

Laten we beginnen met de Nederlandse Richtlijn: “Parodontale Screening, Diagnostiek en Behandeling in de Algemene Praktijk” van de Nederlandse Vereniging voor Parodontologie (NVvP). Zie in tabel 1 wat daarin onder punt 22 [pagina 15] als succescriteria worden beschreven.

aan dat het gemiddelde percentage pockets > 5mm slechts een klein aandeel (2,8%) van het geheel uitmaakt (Schoenmakers et al., 2022).

Stel nu dat de criteria van de Nederlandse richtlijn strikt en zonder verdere overwegingen zouden worden toegepast, dan zou dit betekenen dat bij 39% succes in het bereiken van een pocketdiepte van ≤

Reductie van pocketdiepte tot ≤ 5mm

Afname van de bloedingsneiging bloeding na sonderen ≤ 20%

Reductie van de hoeveelheid plaque plaque-index ≤ 20%

Wanneer de grens voor pocketdiepte van ≤ 5mm op patiëntniveau wordt aangehouden, blijkt uit een analyse van de gegevens van 1182 patiënten uit onze paro praktijk dat we op basis van dit succescriterium slechts in 39% van de gevallen succes behalen met onze niet-chirurgische behandeling (Van der Weijden et al., 2019). Maar is dit nu echt een slecht behandelresultaat? Om dit goed te beoordelen, moet er eigenlijk gekeken worden naar de langetermijneffecten. Uit onderzoek van dezelfde praktijkpopulatie blijkt dat met een nazorgperiode van ongeveer 10 jaar het behaalde resultaat stabiel kan blijven (De Wet et al., 2018). Op pocket- of siteniveau toont een andere analyse van onze patiëntengroep (n=993)

Endpoints voor parodontale therapie

5 mm (Van der Weijden et al., 2019), ongeveer voor 60% van onze patiënten aanvullende parodontale therapie nodig zou zijn. De NVvP-richtlijn is hierin echter veel genuanceerder. Onder punt 24 [pagina 35] staat dat bij de keuze voor chirurgie de volgende overwegingen in acht moeten worden genomen:

Bij het indiceren van een aanvullende chirurgische behandeling zullen complicerende factoren, zoals de restauratieve en endodontische status van een gebitselement, evenals de strategische positie daarvan, als onderdeel van de gehele dentitie meegewogen moeten worden. Verder dient de zorgverlener zich af te vragen of na de chirurgische ingreep valt te verwachten dat de

Tabel 1 Succescriteria
1a. 2004
1b. 2024

Tabel 2 Pocketdiepte Bloedingsneiging

Succesfully Treated Stable Periodontitis Patient

Treated Periodontitis Patient with Gingivitis

Periodontitis Unstable Patient

gewenste verbetering wordt verkregen of dat de anatomische situatie zo ongunstig is dat correctie van het botniveau en/of zachte weefsels geen of nauwelijks reductie van de pocketdiepte zal opleveren. Medebepalend voor de indicatie is of de voorgenomen ingreep wel of geen schade en/of esthetische problemen aan buurelementen zal berokkenen.

Ter verdere nuancering, om aan te geven dat niet in alle gevallen chirurgisch ingrijpen noodzakelijk is, wil ik een artikel van Noel Claffey en Jan Egelberg (1995) aanhalen. In mijn ogen bieden deze auteurs een heldere en kritische kijk op ons vakgebied. In dit artikel, waarin de klinische indicatoren voor aanhechtingsverlies na initiële parodontale behandeling bij patiënten met gevorderde parodontitis worden onderzocht, wordt geconcludeerd dat patiënten met gevorderde parodontitis en meerdere resterende pocketdieptes van >5 mm bij herbeoordeling een verhoogd risico lopen op het ontwikkelen van extra aanhechtingsverlies, in vergelijking met patiënten met slechts enkele pockets >5 mm. Dit geeft aan dat er dus ruimte is om na behandeling te eindigen met een klein aantal verdiepte restpockets. Een voorbeeld hiervan is een casus met 20 jaar nazorg. In

4mm

2004 (afbeelding 1a) waren er nog enkele verdiepte pockets aanwezig, maar dankzij goede zelfzorg en regelmatige 3-maandelijkse nazorg is het resultaat in 2024 stabiel gebleken (afbeelding 2a). De klinische foto’s van 2004 en 2024 laten zien dat de patiënte inmiddels zoveel vertrouwen in haar gebit heeft gekregen dat ze heeft besloten om orthodontische behandeling te ondergaan om de tandstand te optimaliseren (afbeelding 2b).

Naast de NVvP-richtlijn is er ook de richtlijn van de “Classificatie van Parodontale en Peri-Implantaire Aandoeningen en Condities” van de Europese Federatie voor Parodontologie (EFP) (Chapple et al., 2018). In tabel 2 staan de criteria voor een succesvol behandelde parodontitis patiënt uit dit artikel samengevat.

Het mag duidelijk zijn dat in deze richtlijn de lat iets hoger gelegd wordt, namelijk op 4 mm in plaats van 5 mm zoals in de NVvP-richtlijn. Onder tabel 1 - zoals die in het originele artikel staat beschreven - staat een voetnoot die interessant is om hier te weergeven:

Er was een minderheidsopvatting die betoogde dat de

drempel voor het definiëren van een klinisch geval van gezondheid bij succesvol behandelde parodontitis patienten zou moeten worden vastgesteld een pocketdiepte van ≤ 3 mm zonder bloeding bij sonderen. De meerderheid was echter van mening dat deze drempel van ≤ 3 mm zelden op 100% van de behandelde sites wordt bereikt, wat kan leiden tot overbehandeling. Sites met een diepte van > 3 mm zouden dan niet als “gezondheid” worden geclassificeerd, waardoor ze open zouden staan voor verdere invasieve behandelingen in plaats van voor monitoring en ondersteunende zorg. Daarom werd de drempel vastgesteld op ≤ 4 mm.

In de EFP-richtlijn “Behandeling van stadium I–III parodontitis — De EFP S3-niveau klinische richtlijn” (Sanz et al. ,2020) wordt voor de endpoint van parodontale behandeling iets meer ruimte gegeven, namelijk geen parodontale pockets > 4 mm met bloeding bij sonderen of geen diepe parodontale pockets > 5 mm. Deze beschrijving maakt echter niet helemaal duidelijk wat precies bedoeld wordt. Wat betreft de bloedingsneiging van 10%, zoals hierboven aangegeven in tabel 2 van dit artikel, is het opvallend om te lezen dat het artikel van Loos & Needleman (2020), dat als onderbouwing voor de EFP-richtlijn dient, even los van de pocketdiepte, een bloedingsneiging van <30% op patiëntniveau als de beste garantie voor parodontale stabiliteit beschouwt. Het is een vraagteken waarom deze wetenschappelijke bevinding niet als zodanig in de EFP-richtlijn is opgenomen.

Samengevat hanteert de EFP-classificatie en de richtlijn een pocketdiepte van 4 mm als een belangrijk criterium. In dit kader is het interessant om te onderzoeken hoe haalbaar deze norm in de praktijk is. Citterio et al. (2022) voerden een systematische review en meta-analyse uit over de resterende pockets na niet-chirurgische parodontale therapie. Op basis van een analyse van 27 studies bleek dat het gemiddelde percentage sites met een pocketdiepte van > 4 mm voor de behandeling 28% was, terwijl dit na de behandeling afnam tot 12%.

Het gemiddelde aantal resterende pockets > 4 mm na behandeling was 14. De auteurs concluderen dat niet-chirurgische parodontale therapie in staat is om de meeste verdiepte pockets te elimineren. Desondanks kunnen er nog steeds resterende pockets aanwezig blijven, wat overeenkomt met onze ob-

servaties in de eigen patiëntenpopulatie.

Om meer vrijheid te creëren in de criteria voor succes, schreef Magda Feres et al. (2020) een waardevol artikel waarin ze een voorstel doet voor een endpoint dat dichter bij de dagelijkse praktijk staat. Op basis van een uitgebreide analyse van 724 patiënten uit de VS, Duitsland en Brazilië, die behandeld werden voor parodontitis, stelt dit artikel voor dat het klinische eindpunt van “≤4 sites met PD≥5 mm” effectief is in het vaststellen van remissie en controle van de parodontale ontsteking na actieve parodontale behandeling. Dit eindpunt kan dienen als een relevant uitgangspunt voor het toepassen van wat zij het “treat-to-target-concept” noemt. Dit voorstel biedt dus meer ruimte voor een klein aantal resterende diepere pockets na de behandeling.

Als lezer van dit artikel vraag je je misschien af waarom in geen van de richtlijnen pockets van 6 mm of meer niet als criterium zijn gekozen. Om deze vraag te beantwoorden, moeten we terugblikken op de vierde EFP-workshop in 2002, waar voor het eerst werd gekozen voor een wetenschappelijke onderbouwing in de vorm van systematische reviews om tot een consensus te komen. Een van de systematische reviews richtte zich op de vergelijking tussen niet-chirurgische en chirurgische parodontale therapie (Heitz-Mayfield et al., 2002). De conclusie was dat professionele gebitsreiniging, al dan niet in combinatie met parodontale chirurgie, een effectieve methode is voor de behandeling van chronische parodontitis. Bij de behandeling van diepe pockets (>6 mm) blijkt dat professionele gebitsreiniging in combinatie met een flapoperatie resulteert in een grotere vermindering van de pocketdiepte en een significante toename van het klinische aanhechtingsniveau. Kortom, bij pockets van >6 mm wordt aangenomen dat parodontale chirurgie een grotere behandelwinst kan opleveren. Ik wil echter als kanttekening nogmaals verwijzen naar de overwegingen voor parodontale chirurgie hetgeen in de NVvP-richtlijn onder punt 24 staat.

Laten we nu terugkeren naar het artikel waar ik in de inleiding naar verwees (Rattu et al., 2023). In dit artikel is onderzocht, aan de hand van verschillende definities voor endpoints, wat de prevalentie is van stabiele en succesvol behandelde parodontitis-

Twee borstelvormen

voor de verzorging en bescherming van de gingiva.

CYLINDRISCHE VORM

zorgt voor optimale precisie in kleine interdentale ruimten.

CONISCHE VORM

zorgt voor een betere toegankel�kheid in middelgrote en grote interdentale ruimten.

Scan de QR-code. Mondhygiëniste Julia legt je alles uit over het vernieuwde Interprox assortiment.

info@dentaid.nl www.dentaid.nl

Tabel 3

EFP- Stable periodontitis

EFP- Endpoints of therapy

Endpoint Criterium

Pockets ≤ 4mm <10% Bloeding

Geen pockets > 4mm met bloeding en geen pockets > 5mm

Treat-to-Target ≤4 sites met pockets ≥ 5mm

4mm

NVvP-succescriterium

5mm

patiënten, evenals de incidentie van daaropvolgend gebitsverlies tijdens de parodontale nazorg, in een populatie van 12.563 patiënten. In tabel 3 staat een overzicht van de resultaten.

De tabel laat zien dat hoe hoger de lat wordt gelegd hoe minder mensen na behandeling voldoen aan de voorgestelde criteria. De auteurs vatten hun bevindingen op een mooie manier samen:

Een overweldigende meerderheid van de patiënten en gebitselementen voldoet volgens de huidige richtlijnen na actieve parodontale behandeling niet aan de aanbevolen ‘eindpunten van therapie’. Dit kan impliceren dat de parodontale behandeling nog een lange weg te gaan heeft voordat deze als effectief kan worden beschouwd. Meer voor de hand liggend is echter de mogelijkheid dat de momenteel voorgestelde eindpunten niet realistisch zijn. Met een zekere mate van optimisme, gesteund door het relatief lage tandverlies tijdens de parodontale nazorg, willen wij graag in deze laatste hypothese geloven.

Samengevat

Samenvattend bieden succescriteria een waardevol handvat en helpen ze bij het voldoen aan wetgeving die gericht is op het bevorderen van de kwaliteit van zorg. Een rigide toepassing van deze criteria kan

Behaald op patiëntniveau Kans op gebitsverlies

Klein

Klein

Endpoints voor parodontale therapie

echter leiden tot overbehandeling. Het is daarom essentieel om, op basis van een volledige status van het parodontium en een beoordeling van het niveau van zelfzorg en ook het zorgdoel voor de dentitie, voor elke individuele patiënt zorgvuldig af te wegen welk zorgplan het meest geschikt is. De genoemde succescriteria kunnen hierbij een richting bieden maar zijn niet in beton gegoten.

De auteur

Fridus van der Weijden uit Paro Praktijk Utrecht. www.dentalkennisplein.nl

Referenties

De literatuurlijst is op te vragen bij de redactie en in te zien bij het artikel online op www.dentista-magazine.nl

Marloes Rust, MondZorgVuldig

Mondhygiënisten Dordrecht

Deze column komt tot stand in samenwerking met TePe

Benelux B.V.

Januari is altijd een drukke maand; patiënten die geen vergoeding meer hadden in december komen langs en mensen met goede voornemens schrijven zich in. En dan hebben we natuurlijk ook onze reguliere patiënten. De vrijdag voor de eerste werkweek in januari meldden zich helaas wat mensen vanwege ziekte per mail af. De mail komt ook bij mij binnen en helaas geeft mij dit wat onrust. Ik doe mijn achternaam geen eer aan. Er is niemand in de praktijk aanwezig en dus besluit ik in een vrij moment in te loggen om de schade te bekijken.

Ik beantwoord de mailtjes, bel wat mensen terug en probeer de vrije plekken op te vullen met onze wachtlijstpatiënten. Het lukt aardig, maar er blijft een plek van 75 minuten openstaan. Daar baal ik best van en ik blader nog wat in de agenda. Dan zie ik een bekende naam. Een naam die gelijk wat weerstand oproept. Het is de man van het BSN-nummer van de vorige column. Er staan vier afspraken gepland en de reeks zou over twee weken van start gaan. Ik zou er een kunnen verplaatsen naar aanstaan-

Geen match

de maandag. Na een paar minuten wikken en wegen besluit ik hem toch maar te bellen. Hij neemt direct op en na het zeggen van mijn naam en praktijknaam begint de klaagzang van deze meneer. “Ja, ik wilde jullie nog bellen, want ik vind het bedrag van de intake veel te hoog. Dat moet toch anders kunnen?” In gedachten slaak ik een zucht en antwoord dat dit vastgestelde tarieven zijn en dat we dit van tevoren ook gemeld hebben, dus hij was er al van op de hoogte. “Ja, dat is ook zo” antwoord hij. “Maar ik vroeg mij af of we niet toch een soort van handjeklap kunnen doen.” Ik antwoord dat het toch geen koehandel is en ik leg hem uit dat er ook heel wat aan de hand is. Toch vindt hij het maar raar dat dit zo’n hoog bedrag is. Het verloop van parodontitis wordt nogmaals besproken en het lijkt allemaal duidelijk te zijn voor hem. In de notities lees ik dat mijn collega hem dit ook al heeft verteld en dat zij ook een kwartier uitgelopen is vanwege alle vragen die hij had. Wij nemen een uur de tijd voor een intake en aan de telefoon wordt het een en ander al uitgelegd. Via

de mail krijgen nieuwe patiënten ook een uitleg over het verloop van de intake en uitleg over welke kanten dit op kan gaan. Aan informatie dus geen gebrek.

Ik besluit nu toch mijn vraag maar te wagen en vraag aan hem of we een van zijn afspraken kunnen vervroegen. Het liefst de laatste van de reeks behandelingen. Hij pakt zijn agenda erbij en het zou voor hem uitkomen. Ik reageer enthousiast dat ik zijn afspraak naar aanstaande maandag zal verplaatsen en dat ik nog een bevestigingsmail zal toesturen. Net voordat ik het gesprek wil afronden, komt er toch nog een vraag.

“Tja, voor wat, hoort wat hè? Krijg ik nu korting?”

Nee, deze man is geen match…

COLUMN MARLOES

Nieuw in 2025

TePe Clinical Events

Xerostomie

Herkennen en adviseren

Droge mond klachten; een groeiend probleem waarbij de oplossing soms lastig te vinden is. Hoe helpen we patiënten met deze klachten en welke adviezen kan je als professional geven?

Kom dan naar één van onze Clinical Events waar expert

Derk Jan Jager je meeneemt in de wereld van xerostomie, waar je alles leert over het herkennen & onderzoeken van én adviseren bij een droge mond.

Waarom je dit niet wilt missen!

Klinische nascholing met de expert op dit gebied

De nieuwste wetenschappelijke inzichten en behandelstrategieën

Netwerken en kennis delen met collega’s

Elke deelnemer ontvangt een rijkgevulde TePe goodiebag

Spreker

Derk Jan Jager

DMD, PhD, Mpros RCSed Tandarts-MFP Afdeling Kaakchirurgie & Mondpathologie Amsterdam

UMC, Stichting Bijzondere Tandheelkunde en het speekselspreekuur bij ACTA

Scan de QR-code om je aan te melden!

TePe Clinical Events 2025

3 verschillende locaties

Tijdstip: 18.00 - 21.30 uur

Entree: € 89,-

Direct uit je werk? Geniet van heerlijke hapjes en drankjes op één van deze bijzondere avonden!

De kunst van zien

wat anderen niet kunnen zien.

Handgemaakte loepbrillen & LED verlichting

Een echt ergonomische oplossing is een oplossindie het werk voor de arts of behandelaar doet.

Dit revolutionaire loepbrilontwerp doorbreekt voor het eerst het concept van de declinatiehoek, waardoor het niet langer nodig is om naar beneden te kijken en voorover te bukken om iets goed te kunnen zien. Ergo-loep brillen stellen je in staat om een neutrale, rechte houding aan te nemen en met ontspannen ogen recht vooruit te kijken. Zoals we van nature doen gedurende het grootstedeel van de tijd dat we wakker zijn. Rug, nek en ogen worden zo minder belast,

3.0 x bereik werkafstand gewicht

6.0 x

werkafstand gewicht

waardoor je gezondheid wordt beschermd. Een ergonomisch ontwerp met de hoogste vergroting in de markt. Voor de uiterste nauwkeurigheid die jij nodig hebt.

Het zoveel mogelijk beperken van ongemak heeft als bijkomend voordeel dat er efficiënter gewerkt wordt, waardoor ook de kwaliteit van de patiëntenzorg toenam. Het maatwerk van Admetec zorgt ervoor dat elke arts of behandelaar een loepbril heeft die afgestemd is op zijn of haar unieke maten, werkhouding en persoonlijke stijl.

4.0 x

7.5 x

5.0 x

werkafstand gewicht

10.0 x

Voor verdere hulp bij het kiezen van jouw loepbril de best bijbehorende lamp, raden we je aan contact met ons op te nemen of onze website te raadplegen.

Turn static files into dynamic content formats.

Create a flipbook
Issuu converts static files into: digital portfolios, online yearbooks, online catalogs, digital photo albums and more. Sign up and create your flipbook.