



















Leergang Upgrade buitenlands opgeleide mondhygiënist
Al onze opleidingen en cursussen zijn voorzien van het
Q-Keurmerk, NRTO en CRKBO en vallen onder de Algemene Voorwaarden van Dental Best Practice B.V. en voldoen aan het examen reglement.
Kijk voor de actuele data, prijzen* en locaties op onze dentalbestpractiwebsitece.nl
* Prijzen genoemd op de website zijn inclusief catering en exclusief studiemateriaal en eventuele examenkosten
Als mondhygiënist richt je je natuurlijk in de eerste plaats op het bieden van goede, kwalitatieve preventieve zorg. Maar er is zoveel meer!
Taakdelegatie is niet meer weg te denken en sinds de mondhygiënist met de 4-jarige opleiding als experimenteerberoep tijdelijk opgenomen is in het BIG-register, mag de geregistreerd-mondhygiënist na registratie zelfstandig bepaalde voorbehouden handelingen uitvoeren.
Zie voor verdere informatie www.bigregister.nl. Wij bieden je een breed aanbod van opleidingen en cursussen, om je werk nóg leuker en interessanter te maken. Denk bijvoorbeeld aan kindertandheelkunde - roestvrijstalen kronen, composietrestauraties in de zijdelingse delen, TMS of cariësdiagnostiek.
Met de overname van NVM Educatie in 2023 combineren we “best of both worlds”.
Enerzijds de jarenlange erkende kwaliteit van de cursussen en de post-hbo Leergang
Parodontologie van NVM-educatie en anderzijds ons huidige aanbod aanzienlijk uit te breiden en hierdoor beschikbaar te maken voor nog meer mondhygiënisten.
Breed aanbod van efficiënt ingerichte opleidingen en cursussen
Duidelijke leerdoelen
KRM geaccrediteerd
Kans om ook je curatieve vaardigheden verder te ontwikkelen
Eigen opleidingscentra van alle gemakken voorzien
Veel aandacht voor de praktijk gedurende de opleidingen en cursussen
Verbreed je kennis als mondhygiënist en haal alles uit deze veelzijdige functie.
Kies wat bij jou past!
We zijn druk bezig met het uitbreiden van ons aanbod voor de mondhygiënist. o.a.:
• Cursus Ergonomie
• Cursus Evidence based
• Cursus Motiviational interviewing
• Cursus Geriatrie
• Cursus Slijmvliesafwijkingen
Houd onze website dus in de gaten!
2 dagen
Dental Best Practice is vanaf 1 maart 2019, officieel erkend door de ANVS (art. 5.11 Bbs); Autoriteit Nucleaire Veiligheid en Stralingsbescherming. Volgens het Besluit Basisveiligheidsnormen Stralingsbescherming dien je, minimaal eens in de 5 jaar nadat je de bovenstaande opleiding hebt gevolgd, bij– en/of nascholing te volgen.
De overheid heeft besloten om met ingang van 1 juli 2020, 4-jarig opgeleide mondhygiënisten door middel van een experiment, een tijdelijke zelfstandige bevoegdheid te geven voor de 3 voorbehouden handelingen: het geven van lokale anesthesie, het prepareren en restaureren van primaire caviteiten en het indiceren, maken en beoordelen van röntgenfoto’s.
Deze opleiding is als gevolg daarvan vereist voor mondhygiënisten, die niet als zodanig Toezichthoudend Medewerker Stralingsdeskundige geschoold zijn, volgens het besluit basisveiligheidsnormen stralingsbescherming.
Met deze 2-daagse opleiding stralingsdeskundigheid verwerf je de voorgeschreven stralingsdeskundigheid voor het zelfstandig rechtvaardigen van röntgenopnamen of het optreden als verantwoordelijk stralingsdeskundige voor de praktijk.
De cursist:
• Kent de atomaire structuur, stralingsproductie en interactie van straling
Leerdoelen
• Kent radiologische grootheden en eenheden
• Kent fysische eigenschappen van röntgentoestellen
• Kent de principes van stralingsdetectie
• Kent de principes van en procedures voor rechtvaardiging
• Kent de principes van radiobiologie en biologische effecten van straling
• Kent risico’s rondom het krijgen van tumoren en erfelijke afwijkingen
• Weet wat deterministische en stochastische effecten zijn
• Kent algemene principes van stralingsbescherming
• Heeft kennis van toepassing van stralingsbescherming
• Heeft kennis van toepassing van stralingsbescherming ten opzichte van patiënten en personeel/medewerkers
• Kent diagnostische referentieniveaus
• Kent risico’s bij zwangerschap en voor de foetus
• Heeft kennis van kwaliteitsbewaking en kwaliteitsbevordering
• Kent nationale regelgeving en (inter)nationale richtlijnen
• Heeft kennis van volledige inhoud KEW-dossier
• Kent risicoanalyse stralingstoepassingen en risicoanalyse gericht op de medewerker
• Weet wat prestatietest is en wat lekstraling meten inhoudt.
1 dagdeel
Om ervoor te zorgen dat medische deskundigheid altijd wordt ondersteund door specifieke kennis op het gebied van stralingsbescherming, dienen tandartsen, mondhygiënisten, kaakchirurgen en orthodontisten te zijn opgeleid tot Toezichthoudend Medewerker Stralingsbescherming (TMS) voor tandheelkunde basisniveau (voorheen stralingsdeskundige niveau 5A/M).
Er geldt een verplichte nascholing voor tandartsen, mondhygiënisten, kaakchirurgen en orthodontisten die zijn opgeleid tot Toezichthoudend Medewerker Stralingsbescherming. Volgens de richtlijn Tandheelkundige radiologie ben je verplicht om jouw kennis over de tandheelkundige radiologie op peil te houden door middel van minimaal 4 nascholingsuren per 5 jaar. Door deze cursus te volgen, wordt voldaan aan de verplichte nascholingseis.
De stralingswetgeving is in 2018 op een aantal onderdelen aangepast. Het ‘Besluit basisveiligheidsnormen stralingsbescherming’ (Bbs) vervangt het ‘Besluit stralingsbescherming’; deze laatste is komen te vervallen.
De cursist:
• Kent nationale regelgeving en (inter)nationale richtlijnen
• Kent de inhoud van het KEW-dossier
• Kent de principes van radiobiologie en biologische effecten van straling
• Kent fysische eigenschappen van röntgentoestellen
• Heeft kennis van de algemene principes van stralingsbescherming, inclusief rechtvaardiging en optimalisatie
• Heeft kennis van het toepassen van stralingsbescherming ten opzichte van personeel, medewerkers en patiënten
• Kent begrippen als kwaliteitsbewaking en kwaliteitsbevordering
• Kent praktijkinstructies en protocollen
• Kan de juiste diagnose stellen aan de hand van een röntgenfoto.
1 dag
NB. Ben je reeds in het bezit van een certificaat, dan dien je- volgens het Besluit Basisveiligheidsnormen Stralingsbescherming - minimaal eens in de 5 jaar nadat je deze cursus hebt gevolgd, bij- of nascholing te volgen.
Om als mondhygiënist röntgenfoto’s te mogen maken, dien je, naast dat jij jezelf bekwaam acht en de tandarts je bekwaam acht, aan te kunnen tonen dat je een adequate scholing op het gebied van röntgenopnametechniek hebt gevolgd. Als mondhygiënist dien je dus een additionele externe opleiding radiologie te hebben afgelegd wanneer je niet BIG gerigistreerd bent en geen diploma TMS in je bezit hebt.
Dental Best Practice organiseert, in samenwerking met gekwalificeerde röntgendocenten, de cursus Intra-orale Röntgen- en Panoramaopnamen.
Tijdens deze theoretische en praktische cursus worden alle facetten besproken die nodig zijn om te voldoen aan de scholingseis namelijk:
• De risico’s van straling
• Bescherming tegen straling
• Herkennen van fouten in opnamen
• Gebruik van apparatuur
• Eigenschappen van straling
• Basale anatomie en röntgenanatomie
• Bediening van het apparatuur
• Maken van intra-orale röntgenopnamen
• Maken van panoramaopnamen
Leerdoelen
De cursist:
• Weet wat röntgenstraling is en wat de biologische effecten zijn
• Weet wat de voorwaarden zijn op het gebied van röntgenstraling binnen de tandartspraktijk
• Kan de patiënt en zichzelf voldoende beschermen tegen röntgenstraling
• Kan goede röntgenopnames maken en fouten herkennen
• Weet te werken volgens de protocollen en de procedures volgens de geldende kwaliteitseisen
• Weet wie verantwoordelijk is voor de apparatuur in de praktijk
• Weet wat de wet BIG inhoudt
1 dag
Om ervoor te zorgen dat medische deskundigheid altijd wordt ondersteund door specifieke kennis op het gebied van stralingsbescherming, dienen tandartsen, mondhygiënisten, kaakchirurgen en orthodontisten te zijn opgeleid tot Toezichthoudend Medewerker Stralingsbescherming (TMS) voor tandheelkunde basisniveau (voorheen stralingsdeskundige niveau 5A/M).
Er geldt een verplichte nascholing voor tandartsen, mondhygiënisten, kaakchirurgen en orthodontisten die zijn opgeleid tot Toezichthoudend Medewerker Stralingsbescherming. Volgens de richtlijn Tandheelkundige radiologie ben je verplicht om jouw kennis over de tandheelkundige radiologie op peil te houden door middel van minimaal 4 nascholingsuren per 5 jaar. Door deze cursus te volgen, wordt voldaan aan de verplichte nascholingseis. De bewijzen van deze gevolgde bij- en nascholing moeten worden gedocumenteerd in het KEW-dossier. Dental Best Practice organiseert in samenwerking met gekwalificeerde röntgendocenten deze bij- en nascholing.
Tijdens deze 2 uur durende theoretische en praktische cursus worden alle facetten besproken die nodig zijn om te voldoen aan de scholingseis namelijk:
• De risico’s van straling
• Bescherming tegen straling
• Herkennen van fouten in opnamen
• Gebruik van apparatuur
• Eigenschappen van straling
• Basale anatomie en röntgenanatomie
• Bediening van de apparatuur
Leerdoelen
De cursist:
• Weet wat röntgenstraling is en wat de biologische effecten zijn
• Weet wat de voorwaarden zijn op het gebied van röntgenstraling binnen de tandartspraktijk
• Kan de patiënt en zichzelf voldoende beschermen tegen röntgenstraling
• Kan goede röntgenopnames maken en fouten herkennen
• Maken van intra-orale röntgenopnamen
• Maken van panoramaopnamen
• Weet te werken volgens de protocollen en de procedures volgens de geldende kwaliteitseisen
• Weet wie verantwoordelijk is voor de apparatuur in de praktijk
• Weet wat de wet BIG inhoudt
4 dagen
Wil jij graag binnen de mondzorgpraktijk of op het consultatiebureau meer doen op het gebied van preventie bij de allerjongsten, maar mis je hiervoor kennis en handvatten? De opleiding Preventie voor de allerjongsten is bedoeld voor mondhygiënisten en tandartsen die graag kennis en expertise willen vergaren over preventieve mondzorg bij kinderen van 0 tot 4 jaar. In de eerste 2 levensjaren wordt veel nieuw (mond) gezondheidsgedrag aangeleerd. Denk aan eten, drinken, mondfuncties, tandenpoetsen, et cetera. Daarom wordt binnen deze opleiding de focus gelegd op het vroegtijdig aanleren van gezond (mond)gedrag op het juiste moment, voordat ongezond gedrag een gewoonte is geworden. Hiervoor wordt gebruik gemaakt van motiverende gesprekstechnieken, de fasen van gedragsverandering en kennis over pedagogiek, voeding en logopedie. Hiervoor ga je actief aan de slag met het opnemen van geluidsfragmenten om je eigen gesprekstechnieken en die van je medecursisten te evalueren. Tijdens de opleiding wordt uitgebreid stilgestaan bij een goede samenwerking met de jeugdgezondheidszorg en wordt ondersteuning geboden bij een implementatietraject. De opleiding wordt gegeven door ervaren docenten die o.a. vanuit het Gezonde Peutermonden onderzoek de nodige ervaring hebben opgedaan.
Leerdoelen
De cursist:
• Heeft voldoende kennis over gebitsontwikkeling en anatomie
• Kan het ‘Gewoon Gaaf’ programma toepassen in de leeftijd van 0-4 jaar
• Kan motiverende gesprekstechnieken toepassen
• Kent de fasen en determinanten van gedrag (HAPA)
• Kan cariës diagnosticeren volgens de ICDAS en ECC
• Heeft kennis over (borst)voeding en kent de rol van de kinderdiëtist
• Kent afwijkende mondgewoonten en kent de rol van de (pre) logopedist
• Heeft kennis over gezinsdynamiek en de invloed van cultuur
• Weet hoe preventieve mondzorg op het consultatiebureau geïmplementeerd kan worden en hoe samen te werken met jeugdgezondheidszorg
• Weet hoe preventieve mondzorg in de mondzorgpraktijk geïmplementeerd kan worden
• Kan preventieve mondzorg afstemmen op de ontwikkelingsstadia van het kind
• Kent veelvoorkomende intra-orale afwijkingen
1 dag
5 dagen
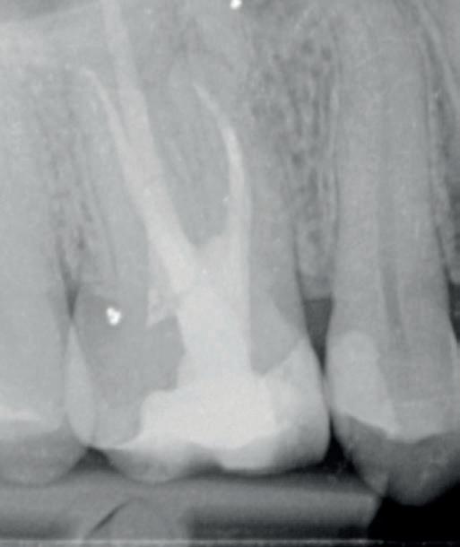
Deze opleiding heeft als doel om de mondhygiënist (ook niet Nederlands gediplomeerd), zo op te leiden dat ze cariës kunnen diagnosticeren en plastische restauraties kunnen vervaardigen. Er zal aandacht worden besteed aan de theorie achter deze behandeling, er zal preklinisch geoefend worden en er zullen klinische verrichtingen uitgevoerd worden tijdens een een klinische stage.
Tijdens deze 5 -daagse opleiding wordt aandacht besteed aan het periodiek mondonderzoek met betrekking tot cariës en röntgendiagnostiek, prepareren en restaureren. Prepareren en restaureren wordt geoefend op fantoom en de opleiding wordt afgesloten met patiënt behandelingen. Tijdens deze opleiding zal duidelijk worden welke behandelingen geschikt zijn voor de mondhygiënist en worden valkuilen besproken. Praktische vaardigheden, maar ook theoretische kennis komen ruimschoots aan bod. Hoe zorg je voor een functioneel en esthetisch goede vulling?
Behandelen van patiënten
Om de opleiding af te ronden is het nodig om een enkele patiënten te behandelen. Deze moeten door de cursist zelf worden meegenomen. Dit moeten patiënten zijn met primaire cariës. Je kunt bitewings meenemen op de 1e of 2e opleidingsdag om te bespreken of het geschikte caviteiten zijn. Als de behoefte of vraag er is, kunnen we het programma iets aanpassen aan de omstandigheden. Een echte op maat gemaakte opleiding dus!
De opleiding wordt afgesloten met een theoretische en praktische toets.
• Diagnose: aandachtspunten bij het mondonderzoek, inschatten van het cariësrisico en frequentie van bitewings
• Indicatie: wat behandel je (nog) niet en wat wel, wanneer stuur je iemand door naar de tandarts
• Interpretatie van bitewings: wanneer behandelen en wanneer niet; bijzondere gevallen
• Prepareren: gangbare preparatie technieken
• Vullen en afwerken: materiaalkennis en matrixsystemen
• Moderne inzichten in omgaan met composiet en bonding
• Praktische vaardigheden: aanbrengen van cofferdam en oefenen op fantoom (naar behoefte)
1 dag
2 dagen
In deze 2-daagse opleiding leer je lokale anesthesie in de mond te geven, zowel infiltratie anesthesie in boven- en onderkaak als geleidingsanesthesie (het mandibulair blok). Voor de mondhygiënist is het van essentieel belang om goede anesthesie te kunnen geven. Dit om een goede initiële behandeling of gebitsreiniging uit te kunnen voeren of te kunnen prepareren. In sommige gevallen is anesthesie dan onmisbaar. Voor zowel behandelaar als patiënt is het prettig om de behandeling pijnloos uit te voeren.
Deze opleiding Lokale anesthesie geeft de theoretische en praktische basis. Ook besteden we aandacht aan het verbod op recappen en behandelen we verschillende oplossingen voor veilig omgaan met naalden.
Er wordt eerst geoefend op een kunststof schedel en daarna oefen je onderling op je mede cursisten. Je dient ermee akkoord te gaan dat lokale anesthesie bij je wordt toegediend (met kortwerkende middelen). In de weken tussen de 2 opleidingsdagen moet je in de praktijk een aantal keer, onder toezicht van een tandarts, anesthesie toepassen bij patiënten.
Leerdoelen
De cursist:
• Kan infiltratie- en geleidingsanesthesie toedienen bij patiënten
• Kan op basis van de geleerde theorie keuzes maken die betrekking hebben op lokale anesthesie
• Kan de praktische uitvoering van de injecties goed doorlopen
1 dag
Docent: Ruud Bos
Hoe zat het ook alweer precies met de zenuwbanen, de keuze voor anesthesie vloeistof en eventuele medische interacties? Of ben je wel theoretisch op de hoogte, maar ben je wat onzeker in het daadwerkelijk toedienen? Tijdens deze cursus word je persoonlijk begeleid en daarna ben je weer helemaal up-to-date.
De cursus bestaat uit een theoretische update van de kennis en een praktische update in het toedienen van lokale anesthesie. Voorwaarde is dat een medecursist zowel infiltratie- als mandibulaire anesthesie bij je mag oefenen onder persoonlijke begeleiding van de docent.
Leerdoelen
De cursist:
• Kent de anatomische structuren
• Kent het verloop van de takken van de n. trigeminus
• Kent de structuren die de zenuwtakken van de n. trigeminus passeren
• Weet wat oppervlakte-, infiltratie- en geleidingsanesthesie inhoudt
• Kent de farmacologie van de meest gebruikte locale anesthetica
• Leert noodzakelijke maatregelen en procedures inzake hygiëne en steriliteit
• Kent de anatomie van en rond de mondholte in relatie tot lokale anesthesie technieken
• Weet wat te doen bij mogelijke complicaties bij het toedienen van lokale anesthesie
1 dag
Docent: Arend van den Akker
Na een inleidende presentatie, volgt een live demo en hands-on training waarbij de simulatie van een aantal getoonde clinical cases aan bod komt. Het bij de cursus gebruikte materiaal is van IPS Empress Direct.
Onder begeleiding van onze vaste docent Arend van den Akker krijg je veel praktische tips, en kun je deze, na de hands-on training, meteen toepassen in de praktijk.
Na de cursus krijg je de gebruikte cursuskit met enige toebehoren mee, evenals een overzicht van de gebruikte materialen.
De volgende onderwerpen komen aan bod gedurende deze 1- daagse cursus:
• De preparatie nader toegelicht
• De maltechniek nader bekeken (waxup intra- en extraoraal)
• Biotypes en de implicatie hiervan voor de praktijk
• Kleurbepaling en de noodzaak van fotografie, DSD
• Een determinatiesysteem voor karakterisering
• Diastemen
• Fluorescentie en opalescentie (en hoe krijg ik dat in de
restauratie?)
• Vorm en oppervlakte structuur in relatie tot de afwerking
• Facings
• Multiple layering met karakterisering en opalescentie
De cursist:
• Kan de geleerde tips & tricks toepassen in de praktijk
• Heeft geleerd om hoogwaardige en esthetische composietsrestauraties te kunnen vervaardigen in het front
1 dag
Docent: Rixt van Noort
Het vervaardigen van composietrestauraties in de zijdelingse delen is een behandeling die we in de tandartspraktijk dagelijks uitvoeren. Maar hoe zorg je er nou voor dat deze restauratie duurzaam is en dus zo lang mogelijk meegaat? Welke invloed heeft de restauratie op de rest van de dentitie en hoe zorg je voor een voorspelbare vorm, functie en esthetiek?
Stap voor stap word je meegenomen in het proces en leer je werken volgens een vast protocol om het gewenste resultaat te bereiken. Onder begeleiding van onze vaste docent Rixt van Noort krijg je veel praktische tips tijdens deze hands-on cursus, die je meteen kunt toepassen in de praktijk.
De volgende onderwerpen komen aan bod:
• Het gebruik van rubberdam
• De preparatie wordt nader uitgelicht
• De mal en stempel techniek nader bekeken.
• Vorm en oppervlakte structuur in relatie tot de afwerking
• Anatomie
• Functie
• Duurzaamheid
• De materialen en het instrumentarium
Leerdoelen
De cursist:
• Kan eenvoudig en efficiënt een rubberdam plaatsen
• Kent de verschillende preparaties voor composiet
• Kent adhesieve systemen
• Kent de verschillende matrix systemen
• Heeft kennis van vultechnieken
• Heeft kennis van het optimale contactpunt
• Heeft kennis van de occlusale morfologie
1 dag 1 dag
Docent: Cyriëlle Jongkind
In de algemene praktijk worden de tandarts en mondhygiënist vaak geconfronteerd met zogenoemde “kaasmolaren” bij kinderen. Blijvende molaren die een wel heel typische hypomineralisatie van het glazuur laten zien. Ze worden niet altijd als zodanig herkend en vaak (deels) onterecht afgedaan als fors carieuze kiezen. Kaasmolaren laten zich echter onderscheiden door hun typerende kleur, grillig weefselverlies en vaak extreme gevoeligheid. Vanwege deze extreme gevoeligheid zijn kinderen met kaasmolaren vaak al zo negatief geconditioneerd door bepaalde prikkels dat zij al bang kunnen worden als je met de meerfunctiespuit in de buurt komt.
Er zijn diverse strategieën voor de behandeling van kaasmolaren. Welke behandelmethoden zijn er en welke is het beste?
Tijdens deze cursus zullen verschillende materialen aan de orde komen, waarmee kaasmolaren behandeld zouden kunnen worden. Gebruik je wel of geen lokale anesthesie en welke methode is het meest toereikend in het bereiken van optimale verdoving? Aan de hand van casuïstiek, zullen tips en tricks besproken worden om kaasmolaren zo goed mogelijk te kunnen behandelen.
Leerdoelen
De cursist:
• Is op de hoogte van de uitgebreide theorie over kaasmolaren (hypogemineraliseerde molaren, MIH en HSPM)
• Kent de verschillende behandelmethoden en materialen (desensitiseren, restaureren en RVSK)
• Kan uitleg geven over pijnbeleving bij kaasmolaren
• Heeft verschillende casuïstiek doorgenomen
• Kent de tips en tricks m.b.t. het behandelen van kaasmolaren bij (angstige) kinderen
1 dag
Docent: Cyriëlle Jongkind
Hall techniek, prepareren, pulpotomie en pulpectomie
Lisa van 3 jaar oud komt binnen in jouw behandelkamer. Haar ouders geven aan dat ze sinds enkele dagen last heeft als ze aan het eten is. Lisa is nog nooit eerder bij de tandarts geweest en laat het nog niet zo goed zien. Spelenderwijs krijg je het voor elkaar toch in haar mond te kunnen kijken en je ziet een grote occlusale caviteit in element 85.
Tja, hoe nu te handelen? Er zijn verschillende behandelopties. Ga je vullen of toch iets anders doen?
Deze 1-daagse cursus zal nader in gaan op de behandeloptie ‘the seal is the deal’ met behulp van roestvrijstalen kronen (hierna genoemd RVSK). Wanneer plaats je een RVSK en wanneer juist niet? Welke methoden zijn er? En mocht er toevallig sprake zijn van een goede coöperatie en je hebt een duidelijk röntgenbeeld, welke opties zijn er dan met betrekking tot een endodontische behandeling in het melkgebit?
De cursus zal gericht zijn op zowel de theoretische- als praktische kant. Je hebt uitgebreid de tijd om hands-on te oefenen.
De cursisten dienen zelf één of twee geëxtraheerde melkmolaren mee te nemen naar deze cursus. Deze worden enkel gebruikt voor wetenschappelijke doeleinden.
Leerdoelen
De cursist:
• Weet welke indicaties en contra-indicaties er zijn ten aanzien van het plaatsen van een RVSK
• Weet welke methoden en werkwijzen er zijn er met betrekking tot het plaatsen van een RVSK (Hall kroon versus prepareren)
1 dag 1 dagdeel
Docenten: Rixt van Noort en Josine Rosseel
Jij ziet je patiënten voor periodieke controle en jij behandelt de primaire cariës. Mooie taken die een grote verantwoordelijkheid met zich meebrengen. Want wat zie je, waar let je op en wanneer beslis je of je wel of niet gaat behandelen? Voer je de behandeling zelf uit of verwijs je door naar een tandarts of specialist?
Tal van factoren bepalen jouw beslissing. Iedere keer weer een beslisboom waar je bewust of onbewust ‘inklimt’. Tijdens deze praktijkgerichte workshop lopen we samen veel van die beslismomenten door. Hierna bepaal jij met nog meer zekerheid en overtuiging zélf hoe jij jouw patiënten het beste behandelt.
We bespreken heel veel röntgenfoto’s en casussen. Ook voor jouw eigen casus(sen) maken we ruimte. Ook gaan we de praktijk in: je doet een PMO bij een van je medecursisten en past toe wat je eerder deze lesdag geleerd hebt.
Leerdoelen
De cursist:
• Kan beslissen wanneer je overgaat tot behandeling
• Kan beslissen om juist níet te behandelen en een laesie te monitoren
• Kan inschatten of hij/zij de geplande behandeling zelf uitvoert of deze verwijst naar de tandarts
1 dag
Docent: Daniël Oortgiesen
Docent:
Een steeds groter wordende groep patiënten wordt behandeld met implantaten. Als gevolg hiervan bestaat een behoefte aan specifieke kennis van de peri-implantaire weefsels, de preventie van peri-implantaire ontstekingen en de nazorg.
Deze theoretische cursus is opgezet om de benodigde kennis en vaardigheden aan te reiken om deze specifieke (na)zorg te kunnen leveren.
Leerdoelen
De cursist:
• Kent de historie van de orale implantologie
• Kent de verschillen en overeenkomsten tussen tand en implantaat
• Kan een diagnose stellen op basis van het röntgenologische en klinische beeld
• Herkent ontstekingen rondom implantaten (mucostitis en peri-implantitis)
• Kent het CIST protocol en kan dit toepassen in de (eigen) praktijk
• Zal diverse casuïstiek zien (geslaagd en minder geslaagd)
• Mag/kan eigen casuïstiek meebrengen
1 dag
Docent: Ingrid van Amersfoort
De laatste inzichten én de nieuwste ontwikkelingen op het gebied van handinstrumentarium komen in deze cursus aan de orde.
We houden de masterclass interactief en inhoudelijk; een combinatie van informatie over instrumentatie technieken en het onderhoud van scalers en curettes.
Welke ‘nieuwe’ instrumenten maken het werken, sub- en supragingivaal, nog completer? De docent neemt je mee in de achtergronden en opbouw van instrumenten. Je krijgt uitleg over verschillende soorten staal; is hardstaal langer scherp? En wat is de invloed van een coating?
Je krijgt inzicht in het handinstrumentarium; welke instrumenten passen bij een behandeling? Het verschil tussen de standaard gracey curette, de after five curette, en de mini five gracey curette wordt doorgenomen. Ook bespreken we 15/16, 17/18 curettes, NEVi scalers en Diamondtec furcatie files.
Tevens behandelen we de invloed van retentiefactoren, het slijpen van instrumenten en de handvaardigheid. Ook geven wij je een verdieping in de techniek van de scaler en curettes, toegepast in verschillende werkgebieden.
Leerdoelen
De cursist:
• Beheerst de slijptechniek voor scaler en curette
• Is op de hoogte van slijptechnieken voor curette en scaler
• Heeft inzicht in de opbouw van handinstrumenten
• Heeft de mogelijkheid ‘nieuwe instrumenten’ uit te proberen op een fantoomhoofd
1 dag
Docenten: Jogchum Plat en Hugo van Beurden
Op dit moment gaat er in de tandheelkunde veel aandacht uit naar de rol van voeding op het orale microbioom. Op het gebied van voeding en mondgezondheid verschijnen er regelmatig berichten in de media. En ook op het gebied van mondgezondheid en afweer zijn er recent interessante artikelen verschenen.
In deze cursus gegeven door Hugo van Beurden en Jogchum Plat, wordt er dieper ingegaan op nieuwe inzichten en interessante ontwikkelingen zoals: toekomstige behandelmogelijkheden van mondaandoeningen met behulp van voedingsmiddelen, de mogelijkheid om met voeding de samenstelling van ons microbioom te veranderen en de invloed van voeding op orale afweerprocessen.
Werkvorm
De cursus is een interactief hoorcollege, waarbij de cursist actief participeert en bijdraagt aan de kennisuitwisseling. Geprobeerd wordt om deze abstracte onderwerpen zo eenvoudig mogelijk te beschrijven.
Leerdoelen
De cursist:
• Heeft basiskennis op het gebied van voeding
• Heeft inzicht in de rol van voeding op gezondheid
• Heeft inzicht in de samenstelling van het microbioom
• Heeft kennis over toekomstige behandelmogelijkheden
• Heeft inzicht in de verschillende afweerprocessen bij
parodontitis
• Heeft kennis over mogelijkheden die we hebben om de afweer te versterken
• Heeft inzicht inzake voeding als onderdeel van een gezonde leefstijl
1 dag
Docent: Schelte Fokkema
Wil je jezelf in korte tijd bijspijkeren in de klinische parodontologie of je kennis weer snel up-to-date maken, dan is deze 4-daagse Masterclass iets voor jou! Alle facetten van de parodontale behandeling komen tijdens deze dagen voorbij, er wordt zowel aandacht besteed aan de theorie als aan de praktijk.
Op dag 1 wordt de keuze tussen het paro-traject en het paro-preventietraject toegelicht aan de hand van wetenschappelijke literatuur, maar ook praktijkkennis. Vervolgens wordt besproken wat de belangrijkste uitgangspunten zijn voor een succesvolle initiële behandeling.
Op dag 2 worden de beperkingen van de initiële behandeling toegelicht en de oorzaken besproken, welke een cruciale rol spelen bij de evaluatie na een initiële behandeling. Vervolgens wordt inzichtelijk gemaakt wanneer parodontale chirurgie of juist herbehandeling geïndiceerd is.
Op dag 3 ligt de focus op het nazorgtraject en de stabiliteit voor de lange termijn. De factoren die hierbij van belang zijn worden besproken als ook de factoren voor de juiste nazorgfrequentie. Daarnaast worden de alternatieve vormen van parodontale behandeling besproken en ook gewogen.
Op dag 4 staat tot slot de vatbaarheid voor parodontitis centraal en wordt toegelicht waarom de etiologie verder strekt dan alleen bacteriën en wordt aandacht besteed aan peri-implantitis. Daarnaast wordt toegelicht welke rol lokale en systemische factoren hier mogelijk bij spelen.
Alle cursusdagen zijn interactief, waarbij de cursist actief participeert aan de kennisuitwisseling en de kennis wordt met behulp van de nodige casuïstiek uitgebreid. De cursusdagen zijn ook los te volgen wanneer je slechts geïnteresseerd bent in één bepaald thema.
Leerdoelen
De cursist:
• Kent de bouw en functie van het gezonde en ontstoken parodontium
• Kent de parodontale screeningstest en de relatie tot het paro-traject
• Kent de uitgangspunten voor de parodontale behandeling
• Heeft inzicht in de effecten van preventie op het ontstoken parodontium
• Kent de succescriteria voor de parodontale behandeling
• Heeft inzicht in de beperkingen van de niet-chirurgische parodontale therapie
• Begrijpt de relatie tussen het parodontium en orthodontie en restauratieve tandheelkunde
• Begrijpt de principes van correctieve parodontale chirurgie voor een stabiel resultaat
• Kent de klinische factoren die van invloed zijn op parodontale progressie ofwel stabiliteit
• Begrijpt de indicaties nazorg, herbehandeling of reiniging en kent het juiste traject daarbij
• Begrijpt het ontstaan van parodontale ontstekingen en de rol van bacteriële complexen
• Heeft inzicht in het nut en het belang van antibioticumgebruik en microbiologisch onderzoek
1 dag
Docent: Schelte FokkemaVolgens de nieuwe richtlijn kies je eerder voor het paro-traject als er bepaalde risicofactoren aanwezig zijn. Welke invloed systemische factoren hebben op het ontstoken parodontium wordt tijdens deze cursusdag toegelicht en de term vatbaarheid wordt besproken. Daarnaast wordt de invloed van lokale risicofactoren en bacteriële complexen besproken, waarbij de vraag centraal staat of parodontitis meer is dan alleen de kolonisatie van bacteriën?
De cursus is interactief, waarbij de cursist actief participeert en bijdraagt aan de kennisuitwisseling. Daarnaast wordt de leerstof toegelicht met casuïstiek.
De cursist kan een thema kiezen in een willekeurige volgorde, maar de docent adviseert de chronologische volgorde aan te houden vanwege de parallellen met de parodontale behandeling.
De cursist:
• Heeft inzicht in de invloed van roken, diabetes, voeding en stress op de parodontale gezondheid
• Begrijpt de invloed van hormonen en medicijnen op de parodontale gezondheid
• Begrijpt de relatie tussen het parodontium en orthodontie, endodontologie en restauraties
• Heeft inzicht in de relatie tussen occlusaal, dentaal en iatrogeen trauma en het parodontium
• Begrijpt het ontstaan van een biofilm en de rol van bacteriële complexen
• Kent de samenstelling van het orale microbioom volgens de nieuwste analysetechnieken
• Kent het synergie-dysbiose model in de verklaring voor parodontale progressie ofwel ontsteking
1 dag
Docent: Ruud Bos
Om als mondhygiëniste op een verantwoorde manier te kunnen werken, dient hij/zij kennis te hebben over algemene ziekten zoals hart- en vaatziekten, diabetes en stollingsstoornissen. Omdat we te maken hebben met een vergrijzende bevolking, zullen we steeds meer met algemene ziekten en medicijnen geconfronteerd worden in de praktijk. Deze ziekten en medicijnen kunnen invloed hebben op de mondgezondheid of op onze behandeling. Verschillende geneesmiddelen kunnen elkaars effect versterken of onbedoelde bijwerkingen veroorzaken. Een goede en betrouwbare anamnese is daarbij onontbeerlijk. Dat alles maakt dat het belangrijk is dat de mondhygiënist hierover voldoende kennis heeft.
Tijdens deze cursus zullen we diep ingaan op de medische anamnese en het belang van het afnemen ervan, we zullen algemene ziekten en veelvoorkomende medicatie bespreken en de interacties en bijwerkingen van die medicatie doornemen.
Leerdoelen
De cursist:
• Kent de veel voorkomende algemene ziekten
• Kan de uitkomst van de medische anamnese interpreteren
• Weet hoe met de ASA classificatie om te gaan
• Kent de interacties tussen algemene ziekten en het mondhygiënistisch handelen
• Kent de interacties tussen geneesmiddelengebruik en
mondhygiënistisch handelen
• Herkent effecten van geneesmiddelengebruik in en om de mond
• Kent de interacties van geneesmiddelen
1 dag
Docent: Cyriëlle Jongkind
In de recente KIMO richtlijn ‘Mondzorg voor Jeugdigen preventie en behandeling van cariës’ (2020) is het gebruik van zilver diamine fluoride (SDF) je vast niet ontgaan. Maar wat is het en is het alleen geschikt voor kinderen of kan het ook toegepast worden bij ouderen (geriatrie)?
Behandeling van cariës met zilverbestanddelen bestaat al sinds de jaren ’20 vorige eeuw. Toch wordt het heden ten dage in Nederland nog weinig gebruikt, terwijl SDF gezien kan worden als een minimaal invasieve manier om cariës te behandelen. Ook kan SDF gebruikt worden als desensitizer.
Hoe werkt SDF of AgF (nieuwe generatie SDF)? En waarom hebben we in Nederland twee componenten, SDF/AgF en KI (kaliumjodide)? Wat doet kaliumjodide? En heb je weleens gehoord van een SMART restauratie? Tijdens deze avond- of ochtendcursus neemt onze docent Cyriëlle Jongkind je (aan de hand van casuïstiek) mee in de wereld van SDF. Het is zowel een theoretische als praktische cursus die je meteen in de praktijk kunt toepassen!
Leerdoelen
De cursist:
• Weet wat zilver diamine fluoride (SDF) is en hoe het werkt
• Kent het verschil tussen SDF, AgF en KI (de oude en nieuwe generatie SDF)
• Weet wat de tips en tricks zijn m.b.t. SDF
• Weet wat de indicaties en contra-indicaties zijn m.b.t. het gebruik van SDF en hoe je SDF gebruikt
• Weet welke technieken er zijn
• Weet hoe je SDF in de praktijk kunt toepassen (bv. declareren)
2 dagen
Docent: Linda Endstra
Om een subgingivale reiniging zo goed mogelijk te kunnen uitvoeren en tot een mooi behandelresultaat te komen, zijn kennis over instrumentarium en kennis over de morfologie van het element (kroon, radices, furcaties en de omliggende weefsels) erg belangrijk. Daarnaast is het essentieel om de verschillende technieken om subgingivaal te reinigen goed onder de knie te hebben. Wat kun je bereiken met subgingivaal reinigen en welke beperkingen kunnen een goed eindresultaat beïnvloeden? Tijdens deze cursus zullen we zowel reiniging met ultrasone apparatuur als reiniging met handinstrumenten bespreken en zullen we onder begeleiding oefenen met deze behandelmethodes.
De cursus bestaat uit een theoretisch en een praktisch deel. Tijdens het praktische deel van de cursus, zal worden geoefend op een fantoomhoofd om te oefenen met de verschillende technieken, zodat die daarna in de praktijk weer direct toepasbaar zijn.
Leerdoelen
De cursist:
• Verkrijgt inzicht in de anatomie van de radices
• Verkrijgt inzicht in de mogelijkheden en beperkingen van subgingivale reiniging
• Kan bepalen welke techniek van verschillende soorten een patiënt
• Is bekend met de contra-indicaties voor toepassing van ultrasone apparatuur
• Verkrijgt kennis van verschillende soorten instrumentarium en de toepassingsmogelijkheden
• Verkrijgt kennis van de verschillende type tips en de toepassingsmogelijkheden
• Kent het verschil in behandelresultaat tussen handmatig vs. ultrasone reiniging
1 dag
Docent: Jo Frencken
In deze op de praktijk gerichte cursus wordt aandacht besteed aan de theoretische achtergronden en praktische toepassingen op het gebied van preventieve en restauratieve tandheelkunde.
Waar preventie tekort schiet kan met deze a-traumatische behandeltechniek (ART) worden ingegrepen waarbij het gaat om tertiaire preventie.
Dit is een cursus waarbij actieve participatie van de cursist wordt gevraagd om getraind te raken in het denken in weefselbesparend handelen.
Er wordt geoefend met het plaatsen van ART sealants en ART restauraties op geëxtraheerde elementen.
Leerdoelen
De cursist:
• Kan weefselsparende tandheelkunde (ART) met betrekking tot tandcariës uitleggen en in de praktijk toepassen
• Kan de hedendaagse cariologische principes en strategieën voor de behandeling van dentinecaviteiten in de praktijk toepassen
• Kan de voor- en nadelen van glasionomeercement als sealant- en vulmateriaal beschrijven en deze kenmerken vergelijken met die van composieten
• Kan het protocol van de ART-sealant uitvoeren en een
afweging maken wanneer een ART-sealant is geïndiceerd
• Kan het plaatsen van een ART-restauratie indiceren en het protocol daarvoor uitvoeren
• Kan aan derden uitleggen hoe goed ART-restauraties presteren en wat de verschillen in overlevingspercentages zijn met traditionele restauraties
• Kan aangeven voor welke delen van de bevolking de ART-aanpak een aanwinst is
• Heeft geoefend in het plaatsen van een ART sealant
In het paro-traject dien je 3 of uiterlijk 6 maanden na de initiële therapie een evaluatie uit te voeren en aan de hand van specifieke criteria te beoordelen of het gewenste resultaat bereikt is. Tijdens deze cursusdag wordt toegelicht wanneer chirurgie, herbehandeling of juist het stoppen van het paro-traject geïndiceerd is en waarom. Daarnaast wordt duidelijk gemaakt welk nut antibiotica hebben tijdens de behandeling van parodontitis en wat het belang is van een microbiologisch onderzoek.
De cursus is interactief, waarbij de cursist actief participeert en bijdraagt aan de kennisuitwisseling. Daarnaast wordt de lesstof toegelicht met casuïstiek.
De verschillende thema’s kunnen het beste worden doorgenomen in de chronologische volgorde die ook wordt aangehouden tijdens de parodontale behandeling, maar als er behoefte is aan het afwijken van deze volgorde, kunnen thema’s ook door elkaar heen besproken worden; we passen ons aan, aan jullie voorkeuren.
Leerdoelen 1 dag
De cursist:
• Kent de succescriteria voor de parodontale behandeling en begrijpt de relevantie ervan
• Heeft inzicht in de beperkingen van de niet-chirurgische parodontale therapie
• Heeft kennis van de anatomie van gebitselementen en i.h.b. de radices
• Begrijpt de principes van correctieve parodontale chirurgie
voor een stabiel resultaat
• Begrijpt de rol van mechanische therapie op de biofilm en het effect op het parodontium
• Heeft inzicht in het nut en het belang van antibioticumgebruik en microbiologisch onderzoek
• Heeft kennis van de indicatie voor het gebruik van antibioticum bij parodontale aandoeningen
1 dag
Docent: Saskia Vrickx
De mond is meer dan alleen de dentitie; het is de poort om van buiten naar binnen te gaan. Als er lichamelijk of psychisch gezien iets niet goed gaat, dan kan dit zijn weerslag hebben op ons mond- en kaakstelsel. We zeggen niet voor niks ‘door de zure appel heen bijten’ of ‘het voor je kiezen krijgen’. De spanningen die mensen ervaren, kunnen ervoor zorgen dat ze gaan klemmen en/of knarsen, waardoor Temporomandibulaire klachten (TMD) kunnen ontstaan.
Onder temporomandibulaire klachten verstaan we: kaakgewrichtsklachten (artrogene TMD) en spiergerelateerde klachten (myogene TMD) of een combinatie van beiden.
Bekende klachten zijn: knappend of klikkend kaakgewricht, beperking van de mondopening, pijn bij eten of kauwen, een overgevoelig gebit, abnormale slijtage van het gebit, oorpijn/oorsuizen, hoofdpijn en nek- en schouderpijn.
Mondhygiënisten zien patiënten vaak jarenlang, ze bouwen daardoor een vertrouwensband op met de patiënt. Omdat ze patiënten geregeld terugzien, zullen zij te maken kunnen krijgen met temporomandibulaire klachten en de invloed daarvan op de mondgezondheid van de patient. Tijdens deze cursus zal er aandacht besteed worden aan de klachten, worden verschillende handvatten aangereikt waardoor je hier goed over kunt communiceren met de patiënt en krijg je de juiste informatie over het verwijzen van deze patiënten.
Leerdoelen
De cursist:
• Leert de basiskennis van de anatomie
• Leert welke klachten behandeld worden door een orofaciale fysiotherapeut en deze te herkennen in je praktijk
• Leert informatie, advies en eerste handvatten te geven en weet wanneer je moet doorverwijzen naar een specialist
• Kent de functie van het kauwstelsel en de betrokken structuren
• Weet en herkent wat temporomandibulaire klachten zijn
• Begrijpt wat situationele en psychosociale factoren met monden kaakklachten te maken hebben
• Neemt kennis van de behandelmogelijkheden van orofaciale fysiotherapie
• Leert het belang van samenwerking tussen mondhygiënisten en orofaciaal fysiotherapeuten en leert wanneer en hoe te verwijzen
• Kan de betrokken spieren/gewrichten palperen en onderzoeken
• Leert differentiëren tussen myogene en artrogene TMD en leert sneltesten uit te voeren
• Leert de patiënt informatie, advies en handvatten te geven
1 dag
Docent: Yvonne
KortDeze nieuwe en inspirerende actieve cursus gaat over de relatie van voeding tot ontstekingen in de mond.
Wist jij bijvoorbeeld dat omega 3 vetzuren van belang zijn bij parodontitis? En geef jij je patiënten weleens advies over vetzuren?
En welke thema’s vraag jij je patiënten uit? Vraag je alleen naar de gezondheid en mondhygiëne, of ben je ook geïnteresseerd in andere leefstijlfactoren?
De gezondheid van je patiënt start al in de mond. De mond is dus een erg belangrijk orgaan. Het orgaan waar wij als mondzorg professionals dagelijks mee werken. Maar wat is gezondheid eigenlijk? Gezondheid is niet per se de afwezigheid van ziekte. Er zijn verschillende definities die te maken hebben met gezondheid. Eén van die definities is bijvoorbeeld: Health is the ability to adapt and to self-manage. Met adaptogene capaciteit wordt het volgende bedoeld: de capaciteit om een stoornis van een homeostatisch evenwicht in recordtijd weer in balans te brengen. En hoe herken je dan een goede adaptogene capaciteit in de mond?
Je wordt je tijdens deze interactieve cursus bewust van de invloed die je zelf hebt op je immuunsysteem en daarmee op je gezondheid. Na deze cursus ben je in staat om iedere patiënt een passend advies te geven omtrent voeding die helpt de mondgezondheid te verbeteren.
De cursist:
• Leert hoe je als mondhygiënist chronisch ontstoken gingiva kan aanpakken bij de patiënt en hoe je voeding kunt inzetten om dit te verminderen
• Verkrijgt kennis over de relatie van de mond tot het immuunsysteem
• Leert de werking van het slijmvlies in de mond kennen
• Ontdekt de factoren die van invloed zijn op het slijmvlies
• Leert welke invloed voeding heeft op gingivitis en parodontitis
Docent: Schelte Fokkema
Volgende de nieuwe richtlijn voor parodontale behandelingen, indiceer je aan de hand van een periodieke herbeoordeling, welk vervolgtraject past bij de parodontale behandeling die je aan het uitvoeren bent. Tijdens deze cursusdag maken we inzichtelijk welke behandelmogelijkheden te overwegen zijn en waarom je voor welke richting kiest. Daarnaast wordt besproken welke factoren de frequentie van de nazorg bepalen en tevens welke alternatieve vormen van parodontale therapie er voor handen zijn. Tot slot worden de verschillen tussen de behandeling van ontstoken pockets rondom implantaten en natuurlijke gebitselementen besproken.
De cursus is interactief, waarbij de cursist actief participeert en bijdraagt aan de kennisuitwisseling. Tijdens deze dag zullen ook verschillende casussen aan bod komen.
De verschillende thema’s kunnen het beste worden doorgenomen in de chronologische volgorde die ook wordt aangehouden tijdens de parodontale behandeling, maar als er behoefte is aan het afwijken van deze volgorde, kunnen thema’s ook door elkaar heen besproken worden; we passen ons aan, aan jullie voorkeuren.
Leerdoelen 1 dag
De cursist:
• Kent de klinische factoren die van invloed zijn op parodontale progressie ofwel stabiliteit
• Begrijpt waarop parodontale nazorg is gericht, wat deze inhoudt en wanneer deze begint
• Begrijpt de indicaties nazorg, herbehandeling of reiniging
• Heeft inzicht in het bepalen van de frequentie van nazorg in relatie tot risicofactoren
• Heeft inzicht in de relevantie van alternatieve methodieken van biofilmbestrijding
• Kent de verschillen tussen de bouw van het parodontium en het peri-implantaire weefsel
• Begrijpt de (on)mogelijkheden in de behandeling van het ontstoken peri-implantaire weefsel
1 dag
Docent: Schelte FokkemaIn de nieuwe richtlijn voor parodontale behandelingen heb je de keuze om bij verdiepte pockets het paro-traject te volgen of juist eerst het paro-preventietraject. In deze cursus wordt de ratio achter deze keuze toegelicht en ook inzichtelijk gemaakt aan de hand van evidence based practice. Daarnaast wordt besproken waarom de niet-chirurgische parodontale therapie een gestructureerd traject is en hoe succesvol dit project is als je aan de juiste voorwaarden voldoet.
De cursus is interactief, waarbij de cursist actief participeert aan de kennisuitwisseling. De cursusdag is doorspekt met casuïstiek en wordt afgesloten en toegelicht met een casus.
De verschillende thema’s kunnen het beste worden doorgenomen in de chronologische volgorde die ook wordt aangehouden tijdens de parodontale behandeling, maar als er behoefte is aan het afwijken van deze volgorde, kunnen thema’s ook door elkaar heen besproken worden; we passen ons aan, aan jullie voorkeuren.
Leerdoelen
De cursist:
• Kent de bouw en functie van het gezonde en ontstoken parodontium
• Kent de parodontale screeningstest en de relatie tot het paro-preventie en het paro-traject
• Heeft inzicht in de effecten van preventie en curatie op het ontstoken parodontium
• Kent de uitgangspunten voor de parodontale behandeling
• Heeft inzicht in de effecten van de niet-chirurgische parodontale therapie
• Kan een gemotiveerde keuze maken in het soort instrumentarium bij de therapie
Zie jij ze ook overal? Onzichtbare beugels? Maar ben je nog niet overtuigd van het nut? Wat is er allemaal mogelijk met aligners? Hoe zit het met patiënten met parodontale problematiek? Kunnen die behandeld worden? Op deze informatieve dag vertellen we je alle ins & outs over aligner orthodontie. Na deze cursus weet jij alles over aligners en welke voordelen ze voor jouw patiënten kunnen hebben.
Leerdoelen
De cursist:
• Kent verschillende aligner systemen
• Heeft kennis van beknopte basis orthodontie
• Weet wat de grenzen van aligners zijn
• Weet wat de mogelijkheden voor jou als mondhygiënist zijn
• Weet wat attachments doen
• Kent de combinatie van orthodontische-, en parodontologische behandelingen
• Kan passend mondhygiëne advies geven
• Weet waar naar te kijken bij een controle behandeling
1 dag
Docent: Ellen Bol- van den Hill
Het Nederlandse zorgstelsel hangt aan elkaar van wetten en regelgeving. Wetten en regels waar alle mondhygiënisten van op de hoogte moeten zijn (of je nu vrijgevestigd bent, als zelfstandige werkt of in loondienst bent). Als mondhygiënist krijg je regelmatig te maken met onduidelijkheden en tegenstrijdige berichten rondom nieuwe en veranderende wet- en regelgeving.
In een interactieve cursus worden alle aspecten van de voor mondhygienisten van belang zijnde wet- en regelgeving besproken en gaan we met elkaar in gesprek over wat dit betekent voor de beroepsuitoefening.
Leerdoelen
De cursist:
• Heeft up-to-date kennis van voor mondhygiënisten belangrijke wet- en regelgeving
• Weet de wet- en regelgeving toe te passen in de eigen beroepsuitoefening
• Is op de hoogte van de wet BIG, de kwaliteitswetten en de WGBO
• Heeft kennis van de regelgeving rondom de voorbehouden handelingen (bij functionele zelfstandige bevoegdheid en bij zelfstandige bevoegdheid)
• Is op de hoogte van de Europese regelgeving die van belang is voor de mondhygiënist
1 dag
Docent: Daan van Oort
Als mondhygiënist is het belangrijk om het behandeltraject van de patiënt vast te leggen. Daarvoor heb je duidelijke en goede mondfoto’s nodig. Tijdens deze cursus leer je hoe je deze mondfoto’s kunt maken, welke camera systemen hiervoor geschikt zijn en welke hulpmiddelen je kunt gebruiken.
Je krijgt antwoord op de vraag: wanneer en waarom ga je mondfoto’s maken?
Ook besteden we aandacht aan hoe je jezelf met mooie foto’s, goed kunt profileren op social media.
Leerdoelen
De cursist:
• Kan de keuze maken voor een bepaald camera systeem
• Kan de camera goed instellen
• Weet hoe je volgens het WIP-protocol met het camerasysteem om moet gaan
• Weet welke hulpmiddelen (spiegels/ retractors/ wangafhouders/ contrastor) nodig zijn
• Kan met de juiste hulpmiddelen goede mondfoto’s maken
• Weet hoe je de patiënt moet positioneren om ergonomisch goed te fotograferen
• Kan een social media post maken
2 dagen Docent: Eelco Hakman
De mond is meer dan een bak met tanden.
De mond is de poort van buiten naar binnen, waar we mee praten en eten en nog zoveel meer. Soms krijg je te maken met patiënten die zichzelf iets hebben aangeleerd, waardoor ze klachten krijgen in de mond. Zo’n klacht verdwijnt niet door een betere mondhygiëne of een mooie vulling, daar zit veel meer achter. Patiënten kunnen gedrag vertonen dat invloed heeft op de mondgezondheid, denk daarbij aan patiënten met een verslaving of eetstoornis. Dat wat je in de mond ziet van die patiënten, is een gevolg van iets veel groters. Deze cursus gaat over psychodiagnostiek en functionele klachten. De 3-sporen anamnese gaat je helpen om een verbinding te maken tussen oorzaak en gevolg.
Met plastische voorbeeldfilmpjes worden de meest voorkomende beelden verduidelijkt. Geen prognose zonder diagnose en geen diagnose zonder 3-sporen-anamnese. Luisteren, vragen stellen en vooral genieten.
De cursist:
• Kan de functionele klacht herkennen
• Kent het verschil tussen classificeren en diagnosticeren
• Begrijpt wat psychopathologie met klachten in de mond te maken heeft
• Kan een 3-sporenanamnese (soort emotionele röntgenfoto) maken
• Leert verwijzen
• Leert gelukkig te blijven in de eigen praktijk
1 dag
Docent: Eelco Hakman
Docent:
Grofweg bestaan er twee type moeilijke patiënten in de praktijk; zij die grensoverschrijdend gedrag vertonen en zij die jou verleiden tot grensoverschrijdend gedrag.
De cursus begint, heel relaxed, met een oefening in de kunst van het luisteren, waarbij met behulp van klassieke muziek een aantal luistertrucs geleerd worden. Aan de hand van videobeelden worden de meest voorkomende typen van de ‘moeilijke’ patiënt besproken. Tevens worden de cursisten vertrouwd gemaakt met de basisvaardigheden om met dit soort patiënten om te gaan.
Ook wordt aandacht besteed aan het feit of de moeilijkheid van deze patiëntengroep hem nou in de klacht, in de patiënt, in de behandelaar of in een combinatie van deze zit. De avond wordt afgesloten met een spoedcursus klachtafhandeling, waarbij ook tips and tricks voor het tuchtrecht aan de orde komen.
Voor deelname aan deze cursus dient de cursus ‘Leren kijken met je oren: de mond is meer dan een bak met tanden’ (deel I) gevolgd te zijn.
Het maakt voor de volgorde niet uit of je na deel I eerst deze cursus volgt of eerst ‘De 3-sporen-anamnese’ – het vervolg op ‘Leren kijken met je oren.’ (deel II).
De cursist:
• Leert effectief luisteren en identificeert luistertrucs met behulp van klassieke muziek
• Versterkt de capaciteit om subtiele signalen van patiënten op te vangen
• Analyseert videobeelden om verschillende typen ‘moeilijke’ patiënten te herkennen
• Onderscheidt gedragingen die grensoverschrijdend zijn en identificeert strategieën om hiermee om te gaan
• Verwerft fundamentele vaardigheden om effectief te communiceren en om te gaan met weerstand.
• Ontwikkelt strategieën om grensoverschrijdend gedrag te voorkomen en te de-escaleren.
• Onderzoekt of de moeilijkheid voortkomt uit de klacht, de patiënt, de behandelaar, of een combinatie van deze factoren.
• Leert kritisch evalueren om passende interventies te bepalen.
• Begrijpt het proces van klachtafhandeling en identificeert strategieën voor effectieve oplossingen.
1 dag
Docent: Johnny Buivenga
Als mondygiënist doe je je best om een goede mondhygiëne te realiseren en om de patiënt te leren over wat hij/zij daar zelf aan kan bijdragen.. Ondanks je goede intenties krijg je te maken met weerstand: onwelwillendheid, een ‘ja, maar’, een sceptische houding, boosheid en passiviteit. Je intenties lopen stuk op deze weerstand. Maar waarom? Wat is die weerstand? Waar komt die vandaan? En hoe kan je ermee omgaan? Hoe zorg je ervoor dat die weerstand vermindert, of nog beter dat je de weerstand voorkomt?
In de cursus Gedragsverandering en weerstand leer je vanuit het vakgebied van psychologie en gedragsverandering welke psychologische weerstanden er bestaan, waar deze vandaan komen, waarom deze normaal en gezond zijn en welke concrete wetenschappelijke gedragsveranderingstechnieken je kunt inzetten om weerstanden te verminderen en zelfs voorkomen.
De cursus is een combinatie van (interactieve) theoretische colleges en verdiepende opdrachten om de theorie eigen te maken.
Leerdoelen
De cursist:
• Leert over de oorsprong van gedrag en gedragsverandering en de relatie tot heersende maatschappelijke ideeën
• Weet wat de drie psychologische weerstanden zijn, wat deze inhouden en vanuit welke fundamentele behoeftes deze voortkomen
• Leert de drie psychologische weerstanden herkennen en onderscheiden in de eigen praktijk
• Leert welke wetenschappelijke gedragsveranderingstechnieken er bestaan om weerstand te verminderen
• Leert voor elke psychologische weerstand de juiste wetenschappelijke gedragsveranderingstechniek te selecteren en uit te werken
• Werkt wetenschappelijke gedragsveranderingstechnieken uit op basis van de meest voorkomende weerstanden in eigen praktijk
1 dag
Docent: Schelte Fokkema
Op deze cursusdag wordt de relatie tussen parodontitis en andere ziektes uitgediept en worden de systemische effecten van de parodontale behandeling besproken. Hiervoor wordt ingegaan op de pathofysiologie van parodontitis en de dualistische rol van het immuunsysteem. Daarnaast wordt de relatie tussen parodontitis en de kwaliteit van leven toegelicht en wordt de fysieke en mentale betekenis van ziekte besproken en in verbonden aan begrippen als levensstijl en (mond)gedrag.
Werkvorm
De cursus is interactief waarbij de cursist actief participeert en bijdraagt aan de kennisuitwisseling. Daarnaast wordt de complexe lesstof inzichtelijk gemaakt aan de hand van een 3D-animatiefilm.
Leerdoelen
De cursist:
• Begrijpt het immunologische dilemma bij parodontitis en de systemische gevolgen ervan
• Heeft inzicht in de relatie tussen hart- en vaatziekten, diabetes en parodontitis
• Heeft inzicht in de relatie tussen vroeggeboorte en laag geboortegewicht en parodontitis
• Heeft inzicht in de relatie tussen reuma, pneumonie, kanker, Alzheimer, Corona en parodontitis
• Begrijpt de beperkingen van klinisch onderzoek in het leggen van een causaal verband
• Kent de betekenis van (parodontale) gezondheid en de relatie tot kwaliteit van leven
• Heeft kennis van de holistische betekenis van ziekte en de relatie tot gedrag(sverandering)
1 dag
1 dag
Docent: Annemieke Laan
Het behandelen van kinderen in de praktijk vraagt een andere aanpak dan het behandelen van volwassen patiënten. In deze cursus worden praktische tips gegeven en ervaringen gedeeld over het behandelen van angstige kinderen, kinderen met ADHD, ASS en gedragsproblemen. Door vroegtijdig de risicofactoren van de ziekte cariës vast te stellen bij kinderen en hierop de preventie- en behandelingsaanpak op individueel niveau aan te passen, kan de mondhygiënist er voor zorgen dat het cariësproces wordt stilgezet en er geen nieuwe cariësleasies ontstaan in de dentitie. Naast het theoretische gedeelte wordt er een practicum gegeven om de theoretische tips en tricks toe te passen in de praktijk.
Leerdoelen
De cursist:
Leerdoelen
• Heeft kennis genomen van de aandachtspunten bij het uitvoeren van een PMO, preventie en behandeling van kinderen
• Kan een ICDAS-II score & röntgenbeoordeling geven van cariësleasies in de melkdentitie en blijvende dentitie
• Heeft kennis genomen van verschillende manieren van fluoride applicaties
• Kan alternatieve mondverzorgingstips geven als de gebruikelijke
mondzorg niet haalbaar is en/of toereikend om het cariësproces tot stilstand te brengen
• Verkrijgt kennis over aandachtspunten bij het geven van voedingsadvies bij kinderen
• Heeft kennis genomen en tips gekregen over behandeling van angstige kinderen, kinderen met ADHD, ADD en gedragsproblemen
Als mondhygiënist weet je van alle deelgebieden voldoende om adequate tandheelkundige zorg te verlenen. Maar er is zoveel meer!
De vraag vanuit de markt was dan ook groot om met een compleet aanbod van opleidingen en leergangen te komen die je gaan helpen in het verder verbreden, verdiepen én specialiseren van jouw kennis binnen de tandheelkunde en als mondzorgprofessional.
Afgelopen jaar hebben we de leergang Kindertandheelkunde, leergang Pardodontologie en de leergang Upgrade buitenlands opgeleide mondhygiënist aan ons assortiment. Benieuwd naar al onze verschillende leergangen, die allemaal met veel zorg en kennis samengesteld zijn en begeleid worden door ervaren docenten en specialisten? Neem snel een kijkje op de volgende pagina’s en kies wat bij je past!
7 modules
Benieuwd naar het volledige programma? Scan de QR-code!
De leergang Kindertandheelkunde is bedoeld voor tandartsen en mondhygiënisten met grote affiniteit voor de jonge patiënt. Wellicht heb je gemerkt dat je best goed bent in het behandelen van de jonge patiënt, maar mis je net even de juiste ‘know-how’. De leergang zorgt voor verbreding en verdieping van je kennis op het gebied van de kindertandheelkunde en helpt je bij het (nog) beter kunnen behandelen van kinderen.
Het vakgebied kent uiteenlopende onderwerpen, die door verschillende gastdocenten worden behandeld. Deze leergang is zeer geschikt voor mondzorgprofessionals die hun vaardigheden willen verfijnen in de kindertandheelkunde. Na het afronden van deze leergang heb je specialistische kennis opgedaan binnen de kindertandheelkunde, maar voor de officiële erkenning als pedodontoloog dien je de ACTA opleiding Kindertandheelkunde te volgen.
Docenten
Cyriëlle Jongkind
Fenno Moes
Marije Greven
Bernadet Spaan
Hanneke de Valk
De cursist:
• Kent de ontwikkelingspsychologie van een kind
• Kent verschillende soorten gedragsstoornissen
• Kent verschillende soorten interventie-methoden ten aanzien van preventie.
• Kent de KIMO-richtlijnen Kindertandheelkunde
• Weet hoe om te gaan met de coöperatieve én niet-coöperatieve patiënt
• Kan gebruik maken van cofferdam/lokale anesthesie bij de jonge patiënt
• Heeft kennis over minimaal invasieve kindertandheelkunde
• Kent de endodontische behandeling van melkelementen
• Weet wat je kunt doen aan kaasmolaren en andere gebitsstoornissen
• Kent traumatologie in het kindergebit
• Kent afwijkende mondgewoonten en de rol van de logopedist
Benieuwd naar het volledige programma? Scan de QR-code!
Wil jij jouw rol versterken in het parodontale behandelingstraject en goed kunnen samenwerken met andere mondzorgprofessionals tijdens parodontale behandelingen? Dan is deze leergang iets voor jou! De initiële aanvraag maar ook de voortgangsrapportages worden door een onafhankelijke adviescommissie, die representatief is voor het werkveld van de parodontologie, beoordeeld. Met deze procedure is een permanente bewaking en verbetering van de leergang gegarandeerd en voldoet de leergang aan de kwaliteitseisen van een officieel erkende Registeropleiding.
Als mondzorgprofessional word je veelal verantwoordelijk gesteld voor het paro-traject, waardoor de klinische analyse en interpretatie op jouw schouders rusten. Echter je voelt je hier niet altijd toe in staat, je kunt het onvoldoende onderbouwen of je kunt niet doelgericht communiceren om de succescriteria van de parodontale behandeling te bereiken. Om als mondhygiënist of algemeen practicus de klinische informatie, kritisch en gedegen, over te kunnen brengen, biedt de leergang Parodontologie een verdieping aan op het gebied van de klinische parodontologie om inzichten te verwerven en een beter begrip van de pathofysiologie te krijgen. Met behulp van deze kennis kunnen patiënten met complexe parodontale problemen succesvoller behandeld worden. Daarnaast kan beter samengewerkt worden en kan het parodontale behandelproces succesvoller aangestuurd worden. Op deze manier wordt het kwalitatieve handelen in de parodontologie gezamenlijk aangepakt en wordt geïnvesteerd in een effectievere maar ook efficiëntere inrichting van de mondzorg.
Docenten
Schelte Fokkema
Vanessa Hollaar
Jeroen Zweers
Hugo van Beurden
Daniël Oortgiesen
Daan van Oort
De leergang Parodontologie bestaat uit 3 studieonderdelen:
• Toetsen van kennis op het gebied van de parodontologie en de medische anamnese
• Ontwikkelen van kennis en inzicht in de parodontologie
• Behandelen van paropatiënten vanaf de intake tot en met de herbeoordeling, casusdocumentatie en examen
Deze nieuwe 9-daagse Upgrade is speciaal ontwikkeld voor de gediplomeerde, in het buitenland opgeleide mondhygiënist, die in Nederland erkend wil worden.
Als je met een buitenlands zorgdiploma in Nederland wilt werken, kan dat alleen als je kennis en vaardigheden van gelijkwaardige inhoud en niveau zijn als het Nederlandse curriculum mondzorgkunde op bachelor niveau.
De definitieve erkenning wordt verleend door de commissie “Buitenslands Gediplomeerde Volksgezondheid”. Dit is een onafhankelijke commissie van deskundigen.
Wanneer je deze Upgrade succesvol hebt afgerond én erkend bent door bovenstaande commissie, voldoe je dus aan de gestelde voorwaarden om als mondhygiënist in Nederland te werken. Na het volgen van deze leergang, is het ook mogelijk om je in te schrijven in het BIG-register, omdat deze Upgrade inclusief TMS is.
We bieden je met deze leergang een compleet programma aan. We hebben onze reeds bestaande modules voor je samengevoegd in één leergang. Zo hoef je ze niet los te volgen en heb je meteen alles compleet!
Deze leergang is zo opgebouwd dat als de theorie is behandeld en getoetst, er vervolgens behandeling kan plaatsvinden tijdens de klinische stage. Opdrachten worden binnen een half jaar na het afronden van de leergang, afgetekend door een BIG geregistreerde tandarts of BIG geregistreerde mondhygiënist.
De leergang bestaat uit drie onderdelen:
Blok 1: Lokale anesthesie (2 dagen)
Blok 2: Toezichthoudend Medewerker Stralingsbescherming, inclusief röntgen- en cariësdiagnostiek (2 dagen)
Blok 3: Prepareren (cariësmanagement) en restaureren met plastische materialen (5 dagen)
Inclusief
Hoorcollege Evidence Based en ondernemerschap
Contactgegevens
Dental Best Practice
Koggeschip 212 7429 BG Deventer (Colmschate)
055 312 10 50 E info@dentalbestpractice.nl