Extra kanalen in gebitselementen; het mid-mesiale kanaal
Zijn

“Doe
Extra kanalen in gebitselementen; het mid-mesiale kanaal
Zijn
“Doe
4 3 2 1 0 mm
3+1 GRATIS
Ervaar het zelf:
Venus Bulk Flow ONE.
De eerste flowable one-shade bulk fill composiet voor alledaagse restauraties.
Altijd de juiste kleur: Met de ongelooflijke kleuradaptatie van Venus Bulk Flow ONE worden restauraties onzichtbaar door op te gaan in de omringende dentitie.
Efficiënte behandeling: Caviteiten tot 4 mm worden snel en eenvoudig gevuld waarbij er geen additionele toplaag nodig is.
Langdurige restauraties: Lage krimpspanning, hoge buigsterkte en slijtvastheid zorgen voor duurzame restauraties om de hoge kauwbelasting in het posterieure gebied te weerstaan.
Giving a hand to oral health.
© 2023 Kulzer GmbH. All rights reserved.
Dentista is een uitgave van Dentista Media en verschijnt 4 keer per jaar.
Redactie
Ilko Alink, Joan Koele, Lies Ligtvoet
Redactieadres
Dentista Media, Postbus 62, 7437 ZH Bathmen
Contact: Ilko Alink, ilko@dentista-magazine.nl
Internet
www.dentista-magazine.nl
Instagram: @dentistamagazine
Aan dit nummer werkten mee
Michiel Hamann, Tim Thomassen, Daniëlle Spies, Rob Vermaas, James Huddleston Slater, Marilka Elst, Flore Heiligers-Teeuwen, David Rijkens, Frank Andriessen, Marenka Franke, Celina Klappers, Saskia Vrickx, Marloes Rust, Patrick Rijkschroeff, Annemarie Dijkhof, Sjoerd Kuiken, Tandartsenpraktijk Curfs, Marit Verschuuren.
Vormgeving
LDB Production, Levin den Boer
Abonneren
Dentista wordt in gecontroleerde verspreiding toegezonden aan tandarts- en mondhygiënistenpraktijken in Nederland. Een vast abonnement kost € 42,50 (incl. btw) per jaar. Voor abonneren: www.dentista-magazine.nl
Adreswijzigingen
Per e-mail: info@dentista-magazine.nl.
Vermeld zowel je oude als nieuwe adres.
Adverteren
Joan Koele, joan@dentista-magazine.nl, 06 – 477 859 78
Concetta Scibona, concetta@dentista-magazine.nl
Marketing
Ilko Alink, ilko@dentista-magazine.nl, 06 – 267 060 67
Druk
Wilco, Amersfoort
©2013-2023 Dentista Media. Niets in deze uitgave mag worden overgenomen, vermenigvuldigd of gereproduceerd zonder schriftelijke toestemming van Dentista Media of andere auteursrechthebbenden. Dentista Media kan geen aansprakelijkheid aanvaarden voor de juistheid en volledigheid van alle in deze uitgave opgenomen teksten en beelden.
In de loop der jaren heeft tandarts Michiel Hamann zich toegelegd op de endodontologie. Hij heeft er veel plezier in en als algemeen tandarts in een groepspraktijk worden de moeilijke endo’s naar hem doorgeschoven. Hij volgt regelmatig cursussen en bezoekt congressen. Toch besluit hij - al even op weg binnen de tandheelkunde - nog een uitgebreide nascholing te volgen. “Ik had het idee dat ik alles al wel eens had gezien toen de Leergang Endodontologie voorbijkwam. De kennis had ik wel, maar ongemerkt had ik ook een kokervisie ontwikkeld. Deed ik mijn werk met oogkleppen op. Deze cursus verbreeddemijn blikveld.”
Het geeft maar weer aan hoe belangrijk nascholing blijft binnen je vak als tandheelkundig professional. Of je nu net begint of al even op weg bent. In dit nummer van Dentista lees je het verhaal van Michiel. In die leergang kwam hij trouwens nog een bekende tegen, namelijk Rob Vermaas. Rob is docent en mede-initiatiefnemer van de cursus en vertelt daar meer over vijlsystemen. Dat doet hij ook in deze endospecial van Dentista. Die special levert overigens nog meer endoartikelen op. Zo vertelt James Huddleston Slater meer over mid-mesiale wortelkanalen, de dames van Endogooi over de ‘dubbele fistel’, gaan David en Frank dieper in op retrograde peri-implantitis en kijkt Marenka vanuit het perspectief van de praktijkmanager naar Endodontologie. Verder heeft Saskia Vrickx het over hoe je orofaciale pijnklachten kan herkennen en oplossen.
Speciale aandacht ook voor het vervolgartikel van Tim en Daniëlle. In februari van dit jaar brachten zij in een rijk geïllustreerd artikel de ogenschijnlijk groeiende trend onder Nederlanders om naar het buitenland te reizen voor cosmetische tandheelkundige ingrepen onder de aandacht. Ze benadrukten het belang van ethiek en het vermijden van schade in de medische en tandheelkundige praktijk, aan de hand van drie verontrustende casussen waarin patiënten ernstige schade hadden opgelopen als gevolg van behandelingen in het buitenland. De auteurs kregen veel reacties van collega’s naar aanleiding van het artikel en waren erg benieuwd naar de standpunten van andere organisaties binnen de tandheelkunde. Die reacties lees je in dit nummer van Dentista.
Veel leesplezier!
Lies, Joan en Ilko.
Eerste keus voor intraligamentaire anesthesie
De perfecte balans faciliteert een veilige hantering en nauwkeurig werken. Door het ingebouwde klikmechanisme wordt een vaste hoeveelheid anesthesievloeistof gedoseerd. De Citoject N is exclusief verkrijgbaar in een geheel RVS-uitvoering. Andere verschillen met de eerder versie zijn dat de garantie is verlengd van 1 naar 2 jaar en de aankoopprijs fors verlaagd is!
Daarnaast heeft Kulzer speciale naalden voor intraligamentaire anesthesie. De naalden hebben naast een 3-voudige facetslijping een kortere bevel die beschadiging van het ligament voorkomt. De naalden zijn 30G dik en 1 2 mm of 16 mm lang.
Alle voordelen op een rij:
• Gebruiksvriendelijke ‘draai en klik-sluiting’;
• Standaard wordt de Citoject N met een gebogen (30°) voorstuk geleverd. Het buigen van naalden wordt hierdoor geminimaliseerd;
• Omdat de voorgevormde klikhendel in het midden van de Citoject N zit, ligt de spuit stabiel in de hand;
• De r vs-spuit kan onbeperkt worden gereinigd en gesteriliseerd;
• Hoogwaardige kwaliteit en duurzaamheid, met 2 jaar garantie;
• De goed voelbare weefselweerstand voorkomt te snel injecteren.
Bij aankoop van een Sopira Citoject N ontvangt u gratis 4 dozen Sopira naalden! (Actie geldig t/m 31 december 2023)
Informatie: Kulzer Benelux – (023) 543 42 50 - backoffice-benelux@kulzer-dental.com
OOK JIJ?’
Dentaid BeNeLux, gespecialiseerd in mondverzorgingsproducten, is een landelijke campagne gestart om rokers te helpen stoppen met roken. De campagne is een samenwerking met SineFuma, een organisatie die professionele stoppen-met-roken-begeleiding aanbiedt. De campagne richt zich op de negatieve gevolgen van roken voor de mondgezondheid en het belang van een gezonde mond en eigen dentitie. Dentaid BeNeLux wil mondzorgprofessionals stimuleren om actief het gesprek aan te gaan met patiënten die roken en hen te verwijzen naar SineFuma. Hiervoor heeft het bedrijf verschillende materialen ontwikkeld, zoals een poster, een folder en een stoelkaart. Ook organiseert het samen met SineFuma een webinar op 3 oktober, waarin mondzorgprofessionals meer leren over de invloed van (stoppen met) roken op de mondgezondheid, de methode ‘Very Brief Advise’ en het stoppen-met-ro-
ken traject onder begeleiding. Voor het webinar is KRM-accreditatie aangevraagd.
Het stoppen-met-roken ter sprake brengen bij de patiënt kan best lastig zijn. Binnen de zorg wordt veelvuldig gebruik gemaakt van het ‘Very Brief Advise’ (VBA), maar dit is nog relatief nieuw binnen de tandheelkunde. Het VBA is een methode om in 30 seconden een rook-stop-advies te geven aan de patiënt. Als het VBA wordt opgevolgd met een zogenoemde ‘warme verwijzing’ naar professionele stoppen-met-roken-begeleiding, is dit een laagdrempelige manier om de patiënt te helpen, zonder druk te leggen op de relatie tussen zorgverlener en patiënt.
Meer informatie over de campagne en het webinar is te vinden op: www.dentaid.nl/nl/mondgezondheid-en-roken.
Met het draadloze elements™IC obturatie systeem kunt u vertrouwen op nauwkeurige, snelle en uitstekende klinische resultaten.
• De voorspelbaarheid waar u naar op zoek bent Hoge kwaliteit 3D-obturatie van het wortelkanaalsysteem.
• Werk met grote efficiëntie – plan en beheer uw procedure
Backfill: behandel tenminste 16 kanalen met één lading van de backfill op standaardtemperatuur en de aanbevolen instellingen*. Vertrouw op de Gutta Percha niveau-indicator, het instelbaar temperatuurbereik en de aanpasbare motorsnelheid c.q. Gutta Percha extrusie.
• Voer uw wortelkanaalbehandelingen met vertrouwen uit
Backfill - het verwarmingselement wordt omringt door aerogel-isolatie voor het comfort van de behandelaar en de patiënt. Zowel de Downpack- als ook de Backfill-unit is ergonomisch gevormd met een gebalanceerde greep en is voorzien van een 360 o activeringsring.
Voor meer informatie of speciale (pakket) aanbiedingen neemt u contact op met: West en Midden Nederland: niels.vanderschee@envistaco.com / 06 13 36 14 23
Zuid en Oost Nederland: marc.munnichs@envistaco.com / 06 13 85 50 26
Aan u de keuze om de volledige controle te hebben.Michiel Hamann over endodontologie
Al heel veel weten van een bepaald vakgebied, daarin veel cursussen gevolgd en dan toch nog beginnen aan een intensieve leergang endodontologie.
Tandarts Michiel Hamann uit Beverwijk deed het en vertelt er meer over in het onderstaande interview.
“M ijn moeder, opa, een paar tantes, ooms, allemaal tandartsen. Je kunt dus wel zeggen dat het in de familie zit en dat ik er affiniteit mee heb. Ik hoorde en zag thuis wat er allemaal speelde binnen de tandartspraktijk. Daarbij was mijn vader ook nog eens huisarts, dus ik kreeg verschillende kanten van de gezondheidszorg mee. Bij mijn vader ging het dan om heftige materie met keuzes over leven en dood waarbij je als arts een stevige verantwoordelijkheid hebt. Ik zag dat mijn vader het daar lastig mee had en daarmee worstelde. Als huisarts ben je ook naast je werk continue bezig met de emotionele gevallen die je langs ziet komen. Het blijft hangen en dat zorgt voor een bepaalde druk binnen je privéleven met een gezin. Dit in tegenstelling tot mijn moeder, die bij het verlaten van de praktijk haar werkzaamheden makkelijker van zich af kon zetten. In dat opzicht was tandheelkunde voor mij een betere optie. Echter, was tandheelkunde niet mijn eerste keuze voor een vervolgstudie. Ik wilde naar Delft om iets met architectuur en ontwerpen te doen. Dat creëren van gebouwen leek mij prachtig. Alleen lagen mijn kwaliteiten niet in abstract denken en wiskunde. Dan toch maar tandheelkunde.
Thuis kreeg ik daar dus wat van mee, maar ik wilde wel precies weten waar ik dan aan begon. Daarop heb ik een week lang meegelopen bij de studie tandheelkunde aan het Radboud en zo een heel goed beeld gekregen van de studie. Volgens mij doen ze dat niet meer, maar het was echt heel leuk. Je ging direct aan de slag in de prekliniek, in monden kijken, statussen maken en priegelen met was. Zeker dat laatste vond ik mooi en gaf mede de doorslag in mijn keuze. Samen met het studentenleven waar ik die week ook van proefde.”
Als we naar het cv van Michiel kijken zien we dat hij wat langer over de studie heeft gedaan dan gemiddeld. Hoe komt dat? “Dat heeft meerdere oorzaken. In het eerste jaar van mijn studie hockeyde ik op redelijk niveau en heb daarbij mijn hand gebroken. Drie maanden gips en aanvullende revalidatie zorgde ervoor dat ik dat jaar niet haalde. Dat was de eerste vertraging. Daarnaast was ik actief als drummer van de band Springend wild . We traden regelmatig op en kwamen in contact met ‘platenbaas’ Joost den Draaijer en Peter Koelewijn die ons een platencontract aanboden. Het was een periode waarin de Nederlandstalige
Zelf proberen?
Scan de QR-code en maak een afspraak met één van onze collega’s
Langere filamenten voor reiniging diep tussen de elementen
Nieuw
Tot wel 100% minder verkleuringen in 2 dagen.2
Verwijdert tot 20 keer meer tandplaque.1
1 Met betrekking tot tandplakverwijdering met A3 opzetborstel vs handtandenborstel 2 een laboratoriumtest in vergelijking met een traditionele handtandenborstel
muziek een enorme vlucht nam met namen als Marco Borsato, Acda en de Munnik, Van Dik Hout en Clouseau. En daar stonden wij ineens als band tussen. We zijn de studio ingegaan om een cd op te nemen en hoewel we nooit verder dan de Tipparade zijn gekomen werden we wel opgepikt in de studentensteden. Twee jaar lang hebben we op bijna alle studentenfeesten gestaan die je maar kunt bedenken. Een fantastische tijd, een echt avontuur waarin ik vol voor de band ging en de studie naar de achtergrond verdween. Maar ik zag wel dat een carrière in de muziek heel relatief was en dat daar uiteindelijk niet mijn toekomst lag. In die twee jaar haalde ik wel bijna al mijn practica, maar met de tentamens liep ik een achterstand op. Uiteindelijk is het nog allemaal goed gekomen en sta ik hier als tandarts.”
Wat maakt het werken in de praktijk zo leuk?
“De handvaardigheid, knutselen, het uitvoeren van de handelingen, het doen. Ik vind het nog altijd heel leuk, maar vooral ook met al mijn collega’s in de praktijk met ieder zijn of haar eigen discipline. Dat gedifferentieerd werken is wel een verandering ten opzichte van vroeger. Toen moest
je als tandarts alle onderdelen van het vak beheersen, ook toen ik eind jaren 90 begon. Dat was trouwens deels al op deze plek hier aan de Vondellaan in Beverwijk. En toeval of niet, het is ook de plek waar mijn opa in 1939 zijn praktijk opende. Een voor mij vertrouwde plek dus en een fijne praktijkomgeving waar ik nu al 25 jaar werk.
Maar we hadden het over alle disciplines beheersen. Dat kan in deze tijd niet meer als je ook nog eens de beste kwaliteit nastreeft. Je moet loslaten wat een ander beter kan. In onze groepspraktijk hebben we dat gedaan en verwijzen we naar elkaar om zo de beste zorg te bieden voor de patiënt. En ook al heeft ieder zijn eigen discipline, we bekijken elkaars werk wel. Het voorkomt dat je een kokervisie ontwikkelt. Door vanuit verschillende zienswijzen elkaars werk te bekijken en feedback te geven maak je elkaar beter en dat is in het voordeel van de patiënt. Bovendien is het samenwerken in een groep ook nog eens veel gezelliger.”
Hoe is je interesse in endo ontstaan?
“In mijn eerste jaar op ACTA liep ik mee met de centrale indicatie van ouderejaars. Er werd een uitgebreide status gemaakt en
onderdeel daarvan was een endodontische afwijking die moest worden behandeld. De ouderejaars vertelde daarover en dat triggerde mij. Ik herinner dat ik dacht: iets dat je niet ziet, maar er toch zit?. Net als een boot die je uit het water haalt. De kiel, het roer, de schroef komen ineens tevoorschijn, maar zie je normaal niet. Of het verhaal over grottekeningen in Frankrijk waar je summiere schetsen ziet van mammoeten. Wat speelde zich daar nog meer af? Wat zien we niet op de tekeningen? Ik ben altijd nieuwsgierig naar het verhaal erachter, net als in de endodontologie. In het laatste jaar van mijn opleiding heb ik het dan ook als keuzevak gekozen en op die manier had ik aan het einde van mijn studie al aardig wat endo’s gedaan. Ik had er plezier in en als algemeen tandarts in een groepspraktijk werden de moeilijkere endo’s altijd naar mij doorgeschoven. Omdat ik er zoveel deed en er ook mee door wilde heb ik – toen ik toetrad tot de maatschap – meteen een microscoop aangeschaft voor in mijn eigen kamer. Werken met zo’n apparaat opent echt een wereld voor je en maakt je werk zoveel comfortabeler. Onmisbaar inmiddels. Vier jaar geleden hebben we besloten om een verdere groei in de praktijk te bewerkstelligen en zijn we gaan werken in shiften waarbij we rouleren tussen kamers. Dat was ook het moment dat ik in overleg met het team heb besloten om mij volledig toe te leggen op endo’s. Dat betekent dat ik veel endo’s bij ons oppak, maar dat we ook als verwijspraktijk dienen voor praktijken in de buurt. Een echte aanvulling op ons eerdere aanbod.”
“In de loop der jaren heb ik altijd al veel cursussen gevolgd. Onder andere bij Walter van Driel en Michiel de Cleen en de cursussen van de Nederlandse Vereniging voor Endodontologie (NVvE). Ik had het idee dat ik alles al wel eens had gezien toen de Leergang Endodontologie voorbijkwam. De kennis had ik wel, maar ongemerkt had ik ook een kokervisie ontwikkeld. Deed ik mijn werk met oogkleppen op. Deze cursus verbrede mijn blikveld en biedt alles wat je nodig hebt om goed endodontisch werk te doen. Op het gebied van diagnostiek, indicatiestelling, praktische uitvoering, communicatie en verslaglegging. Natuurlijk ben ik ook een beetje ‘gepakt’ door endo en vind ik veel interessant, maar toen ik ging lezen wat de leergang inhield
vond ik de opzet ook heel goed. Daarnaast zag ik ook voor mij bekende namen staan. Ellemieke Hin ken ik hier uit de omgeving waar ik af en toe patiënten naar verwijs, Carlos zit hier ook om de hoek, Kostas ken ik van horen zeggen en Rob Vermaas is weer een oud-studiegenoot van mijn oom. Het is een kleine wereld!”
Leergang Endodontologie
Tijdens ons gesprek heeft Michiel de leergang net afgerond. Hoe heeft hij de achtdaagse nascholing ervaren? “De locatie was perfect. Rustige uitstraling, mooie presentatieruimte en een praktijkopstelling met alle faciliteiten. Maar uiteraard gaat het vooral om de inhoud. Op de eerste dag kwamen röntgendiagnostiek en de differentiaaldiagnostiek aan bod. Wat zou er naast de standaard zaken nog meer aan de hand kunnen zijn? Dat gaf direct veel verbreding. Daarnaast gingen we ook in op welke beperkingen er aan röntgen zitten. Dat zorgde juist weer voor nuance. Die dag heb ik veel aantekeningen gemaakt van zaken die ik direct in de praktijk kan toepassen.
Ellemieke en Carlos startten de tweede dag met microscopie en ergonomie. Belangrijke zaken in ons vakgebied. Welke stappen doorloop je, welke vragen stel je jezelf en hoe documenteer je alles goed? Daarbij kwam ook mondfotografie naar voren en gedurende de verhalen gaven ze handige tips and tricks. Ze verzorgden een echte hands-on training waar zij ingingen op de workflow met patiënt en assistent, gekoppeld aan digitale verslaglegging. Ze lieten zien dat het vak meer behelst dan alleen wortelkanalen schoonmaken. Dat toonde Carlos onder andere aan de hand van video’s van behandelingen waarin hij veel verschillende ‘handigheidjes’ liet zien.
Tijdens de volgende dagen leerden we van Rob Vermaas veel over vijlsystemen, steriliseren en het gebruik van de endomotor. Een mix van praktijk en theorie. Wat doe je, wat gebeurt er en hoe kan je dingen verkeerd doen. Door die vragen te stellen kan je zaken in je eigen behandelwijze, die soms wat zijn ingesleten, kritisch benaderen. Enthousiasme of spanning zorgen soms ook voor een andere aanpak in je werk. Bijvoorbeeld nog een keer heen en weer gaan met de vijl, wat eigenlijk niet nodig is. Rob toonde wat er zoal mis kan gaan en hoe je dat oplost. Daarbij liet hij ook verschillende vijlsystemen zien die we konden uitproberen en kwam de endomo-
tor aan bod. Die gebruik ik eigenlijk nooit in de praktijk, maar Rob liet de voordelen en mogelijkheden zien die het apparaat heeft en stimuleerde mij ermee te werken. Verder vertelde hij meer over het gebruik van verschillende spoelvloeistoffen het activeren hiervan. Kortom, veel tips en aanwijzingen om in de praktijk op te pakken. Op dag vijf en zes hebben we casuïstiek besproken die we zelf hadden ingebracht. Omdat we uit de eerdere dagen zoveel informatie hadden gekregen leverde dat bij het zien van de foto’s enorm veel dynamiek en discussie op.
De een na laatste dag hebben we met Ellemieke en Rob de verschillende obturatietechnieken doorgenomen en hands-on geoefend. Verder veel vragen gesteld en oplossingen gekregen. Op de laatste dag heeft elke cursist een presentatie gegeven van een klinische casus met aansluitend een interessante discussie hierover. Na een uitgebreide lunch hebben we afscheid van elkaar genomen en zijn we met veel kennis enthousiast weer huiswaarts gekeerd. Het was een hele leerzame en leuke nascholing waar alle facetten van de endodontologie voorbij zijn gekomen.”
Hoe was de samenstelling van de groep?
“Ik was veruit de oudste van de groep. Ik zag bij de jongere tandartsen ook wel onzekerheid over hun handelen. Dan merk ik wel dat ik al heel wat heb gezien. En dan nog kan het vaak heel lastig zijn, maar als je de tijd neemt en weet wat je moet doen trekt de mist op en verdwijnt de onzekerheid. Het is ook een kwestie van vlieguren maken. Net als in de muziek. En om de vergelijking te volgen; het gaat ook om gevoel. Ik vergelijk het wel met het indraaien van een schroefje onder een kast. Je ziet het niet, maar het is er wel.”
Heb je tips voor tandartsen?
“Doe cursussen – de leergang Endodontologie is zeker een aanrader -, kijk af bij anderen hoe ze het doen en investeer in een microscoop. Het is het geld zeker waard en het maakt je werk leuker. Het scheelt zoveel! Sta jezelf ook de leercurve toe wanneer je je in de endodontologie verdiept. Het zal met vallen en opstaan gaan en je maakt zeker fouten, maar daar leer je alleen maar van.”
Advertentie
RPM TM -membranen combineren twee producten: het PTFE met titanium frame van CytoplastTM en de open structuur van een titanium mesh. Het unieke circulaire macroporeuze ontwerp van RPM TM zorgt voor direct contact tussen het bottransplantaat en het periosteum, waardoor natuurlijke revascularisatie en infiltratie van cellen in het bottransplantaat mogelijk worden. RPM TM werkt als een traditioneel titanium mesh, maar is gemakkelijker te trimmen en aan te passen aan het botdefect. Dankzij het PTFE-oppervlak en de perforaties (gatenpatronen) kan de membraan eenvoudig worden verwijderd.
Dr.Masterclass Istvan Urban, 1 december 2023, NVOIAmsterdamiCademy
In februari van dit jaar brachten Tim Thomassen en Daniëlle Spies in een rijk geïllustreerd artikel in Dentista (Primum non nocere… Dentista 2023;1:42-47) de ogenschijnlijk groeiende trend onder Nederlanders om naar het buitenland te reizen voor cosmetische tandheelkundige ingrepen onder de aandacht. Ze benadrukten het belang van ethiek en het vermijden van schade in de medische en tandheelkundige praktijk, aan de hand van drie verontrustende casussen waarin patiënten ernstige schade hebben opgelopen als gevolg van behandelingen in het buitenland. De auteurs kregen veel reacties van collega’s naar aanleiding van het artikel en waren erg benieuwd naar de standpunten van andere organisaties binnen de tandheelkunde.
Tim Thomassen en Daniëlle SpiesIn casus 1 (afbeelding 1) werd een 34-jarige vrouw beschreven die een wens had voor ‘rechtere tanden’. Die kreeg ze. Ze reisde naar Turkije en hoewel rechtere tanden met een ‘mooiere’ vorm en kleur gelukt zijn, zijn er veel onnodige en schadelijke behandelingen uitgevoerd. De biologische prijs die betaald is, is enorm, evenals de kosten voor toekomstige herstelbehandelingen. De 53-jarige vrouw uit casus 2 en de medisch gecompromitteerde man uit casus 3, kregen een mond vol implantaten en kronen die nauwelijks reinigbaar zijn; resulterend in peri-implantitis, parodontitis en implantaatverlies (afbeelding 2 en 3). In het artikel benadrukten we het belang van proportionaliteit en subsidiariteit bij het vermijden van schade in de tandheelkunde. Er moet een redelijke verhouding zijn tussen het doel en het ingezette middel, en zorgverleners moeten zorgvuldig de voordelen en risico’s van elke behandeling afwegen voordat ze deze uitvoeren. We wezen ook op het probleem van gebrek aan nazorg en garantie bij behandelingen in het buitenland. Veel websites bieden uitgebreide menu’s van behandelingen aan, maar besteden weinig aandacht aan nazorg na terugkeer in Nederland. De beschikbare informatie lijkt eerder juridisch van aard
dan gericht op het welzijn van de patiënt. We concludeerden dat deze trend van tandheelkundige reizen naar het buitenland zorgwekkend is en dat patiënten vaak niet verder kijken dan het esthetische resultaat op korte termijn. Het ontbreken van nazorg, beperkte mogelijkheden voor reiniging en het risico op toekomstige complicaties maken deze behandelingen problematisch. We plaatsten kritische kanttekeningen bij de (medisch en ethisch) onverantwoorde content die wordt toegelaten op sociale media platforms als Youtube, Instagram en Snapchat.
We kregen veel reacties van collega’s naar aanleiding van het artikel en waren erg benieuwd naar de standpunten van de beroepsorganisaties, belangenverenigingen, inspectie en zorgautoriteit. We stuurden de eerdere publicatie o.a. naar de NZa, IGJ, KNMT, NVM-mondhygiënisten en NVvP, en vroegen om een reactie op de problematiek.
We kwamen persoonlijk in contact met Manon van Splunter-Schneider, voorzitter van NVM-mondhygiënisten, om de inhoud
van dit artikel te bespreken. Het werd ons meteen duidelijk dat mondhygiënisten de problematiek herkennen. Ze geeft aan dat de beschreven casuïstiek doorgaans gepaard gaat met onnodige schade, en dat de gevolgen van zowel het niet meer kunnen reinigen van gebitselementen en implantaten als te diepe restauratie- en kroonranden funest kunnen zijn voor het parodontium. NVM-mondhygiënisten maakt zich met ons zorgen over de schade die hierdoor ontstaat, en benoemd ook de belasting op personeel en patiënt (financieel en fysiek) als het gaat om herstelwerkzaamheden die vervolgens weer in Nederland uitgevoerd moeten worden. We bemerkten naast de zorgen over het onderwerp ook het enthousiasme om aan de slag te gaan met de problematiek om zowel professionals als patiënten beter voor te lichten en te waarschuwen voor de (lange termijn) gevolgen.
“De ‘tandheelkundige reizen’ zijn een vreselijke ontwikkeling. Patiënten hebben geen idee waar ze aan beginnen, en wij als tandheelkundige zorgprofessionals in de parodontologie kunnen mensen maar beperkt helpen omdat de schade vaak al zo groot is dat gezondheid en behoud van de parodontale steunweefsels niet goed meer mogelijk is. De constructies zijn vaak zodanig ontworpen dat het niet reinigbaar is, waardoor parodontale ontsteking ontstaat en de ontstane schade aan de steunweefsels onomkeerbaar is. Daarnaast wordt vaak voorbijgegaan aan het basisprincipe dat het restaureren/rehabiliteren van een gebit pas gedaan dient te worden als er geen (parodontale) ontstekingen meer zijn. Daar waar herstel enigszins mogelijk is, gaat dat gepaard met hoge kosten die patiënten vaak niet kunnen dragen. De mondgezondheid en functie gaan hierdoor met schrijnende stappen achteruit. De NVvP sluit zich aan bij de geopperde zorgen en draagt graag bij aan informatieverstrekking om de mensen in Nederland te waarschuwen voor de ernstige gevolgen van het laten uitvoeren van deze uitgebreide behandelingen in het buitenland.”
Koninklijke Nederlandse Maatschappij tot bevordering der Tandheelkunde (KNMT)
“Hoewel patiënten vrij zijn in het kiezen van een tandarts, is de KNMT geen voorstander van het naar het buitenland reizen
voor mondzorg. Niet omdat we van mening zijn dat de mondzorg die daar geleverd wordt slecht of ondermaats is, maar omdat er problemen kunnen worden ervaren met nazorg en garantie. Bovendien wordt de patiënt niet altijd optimaal door de tandarts in het buitenland geïnformeerd over de behandelopties en de kosten daarvan. In Nederland werken alle tandartsen volgens de professionele standaard, met respect
voor de rechten van de patiënt. Iedereen kan hier uitstekende mondzorg krijgen tegen een gereguleerd tarief. Daarvoor hoeft men niet naar het buitenland te reizen met alle risico’s van dien.”
“De IGJ houdt alleen toezicht op zorg die in Nederland wordt verleend. In Nederland dienen (mond)zorgverleners zich te houden aan de geldende wet- en regelgeving, richtlijnen en de professionele standaard van de beroepsgroepen. In dat kader kan bijvoorbeeld gewezen worden op het recent vastgestelde Kwaliteitskader Cosmetische mondzorg, waarin voorwaarden zijn opgesteld voor het bieden van kwalitatief verantwoorde cosmetische mondzorg. De ‘zorg’ die de patiënten uit de casus in uw artikel hebben gezocht in het buitenland is niet de passende en kwalitatief goede zorg die patiënten in Nederland mogen verwachten en krijgen.”
“De NZa ziet erop toe dat zorgaanbieders, zorgverzekeraars en zorgkantoren zich aan de gestelde regels houden. Deze regels gaan niet over de kwaliteit van geleverde zorg of over de vraag of zorg wel of niet nodig is. We vermoeden dat duurdere, maar esthetisch hoogwaardigere cosmetische mondzorg in Nederland voor patiënten geen alternatief is voor goedkope cosmetische mondzorg van mindere, of soms zelfs slechte, kwaliteit in het buitenland. Het staat patiënten uiteindelijk vrij om een dergelijke behandeling te ondergaan ook al lopen ze daarmee mogelijk risico’s voor hun (mond)gezondheid. Voor de mondzorgsector in Nederland ziet de NZa daarbij vooral een rol in termen van voorlichting vanuit bijvoorbeeld de eigen tandarts zodat mensen weten waar ze voor kiezen en de risico’s die daaraan verbonden zijn.”
Recent besteedde de publieke omroep HUMAN (www.human.nl), via een uitzending van Metropolis , aandacht aan het ‘tandtoerisme’. Ze bezochten ‘tandenparadijs’ Zlatibor (Servië), waar je als patiënt toeristenpakketten kunt samenstellen; een afwisseling tussen de toeristische trekpleisters en beautysalons terwijl je wacht op een smile naar keuze. Saillant detail: de tandarts behandelt op gouden pumps… Wellicht aangetrokken voor het program-
ma, maar het zet ook vraagtekens bij de hygiëne maatregelen en of dit een passende presentatie is voor een mondzorgprofessional. Het programma meldt verder dat in totaal per jaar 6 miljard euro wordt besteed aan tandheelkundig toerisme en dat dit de komende jaren verviervoudigd. Een lucratieve business.
We zijn erg blij met de reacties van de verschillende organisaties en collega’s uit het veld en hopen met beide artikelen een nieuwe impuls te hebben gegeven aan de discussie rondom deze problematiek. Primum non nocere… : “Ik stel het belang van de patiënt voorop en eerbiedig zijn opvattingen. Ik zal aan de patiënt geen schade doen. Ik luister en zal hem goed inlichten…” (Nederlandse artseneed 2003, KNMG). Een gewaarschuwd mens telt voor twee.
Tim Thomassen. Tandarts-Parodontoloog NVvP werkzaam bij Paro Praktijk Utrecht; docent en promovendus bij ACTA Amsterdam sectie Parodontologie. Daniëlle Spies. Tandarts-Parodontoloog. ACTA Amsterdam.
Dankwoord
Onze dank gaat uit naar dr. Jan Tromp, tandarts-parodontoloog in ruste, voor zijn hulp, advies en enthousiasme om deze problematiek meer onder de aandacht te brengen.
Advertentie
mini prijzen, maxi service
Meer dan 45.000 merkartikelen voor praktijk en laboratorium
Tandartsen weten allemaal wat er wordt bedoeld met de term vijlen. Maar waar komt die term vandaan, wanneer zijn we kanalen gaan reinigen, welke ontwikkeling hebben er plaatsgevonden, wat is de huidige aanpak en hoe ziet de toekomst eruit?
Rob VermaasMeer dan anderhalve eeuw worden wortelkanalen met instrumenten gereinigd. In deze periode zijn er vele ontwikkelingen geweest. Bij de introductie van nieuwe systemen c.q. technieken is de vorige technische generatie zeker niet afgeschreven maar kan vaak nog als aanvulling dienen. Een voorbeeld hiervan zijn de C-pilot en K-handvijlen die frequent worden ingezet om nauwere, of gekromde kanalen te exploreren en de Hedström vijl als nuttig hulpmiddel bij herbehandelingen om oude kanaalvulling te verwijderen.
De titel ‘vijlen’ is eigenlijk in meerdere opzichten niet juist. Als zelfstandig naamwoord is het een synoniem voor een metaal wortelkanaal instrument, wat vaak meer een frees is dan een vijl. Zo ook als werkwoordsvorm, maar in het tandheelkundig jargon is voor iedereen duidelijk waar het over gaat als we spreken van een wortelkanaalvijl of een kanaal ‘vijlen’.
Opvallend is dat als je in een gezelschap van tandartsen het woord ‘vijlen’ in een vragende vorm laat vallen je direct een ant-
woord krijgt. Heel anders dan wanneer je iets vraagt over composieten, afdrukmaterialen of implantaten. Niet zelden is er een associatie met een negatieve ervaring of de angst hiervoor, ongeacht of dit uit eigen ervaring is of door ervaringen van derden. Wat hierbij zeker een rol speelt is dat het meeste wat zich afspeelt bij een wortelkanaalbehandeling niet onder controle van direct zicht plaatsvindt.
Historie instrumenten
Wortelkanaalbehandelingen werden in 1733 al door Pierre Fauchard beschreven. Instrumenten hiervoor bestaan sinds het midden van de 19e eeuw. De eerste ervaringen met het reinigen van een wortelkanaal zijn beschreven met behulp van aangepaste horlogeveren en gedraaide pianosnaren. Vanaf dat moment zijn we - om gebitselementen te behouden - na carieus verval of traumata, op mechanische wijze, potentieel pathogeen weefsel uit de pulpakamer en radices gaan verwijderen. Zeer valide, zeker in het perspectief dat er weinig bekend was van de anatomie van de pulpa en de pathogenen die hier een ontsteking
kunnen veroorzaken. Vanuit deze mechanische gedachte zijn meerdere collega’s, vaak in samenwerking met de metaalindustrie, wortelkanaalvijlen gaan ontwikkelen. Ieder met een visie met betrekking tot het nauwkeurig verwijderen van, al dan niet geïnfecteerd, pulpaweefsel. Zo zijn in 1904 de eerste endovijlen geïntroduceerd (als k-files en k- reamers). Het oorspronkelijke materiaal was staal en de vorm werd veelal bepaald door de omtrek (bijvoorbeeld driehoekig of vierkant) van de draad die werd ‘gedraaid’ om een snijdend instrument te krijgen.
De tandheelkunde heeft in de loop der jaren dankbaar gebruik gemaakt van de ontwikkelingen in de metallurgie en het koolstof houdend staal maakte in de jaren 50/60 plaats voor roestvrijstaal legeringen, die beter bestand zijn tegen de krachten die de instrumenten te verwerken krijgen en tevens gesteriliseerd kunnen worden. Ook de standaardisering met kleurcodering werd ingevoerd (afbeelding 1).
In 1988 komen de nikkel titanium legeringen op de markt en doet de flexibele wortelkanaal vijl zijn intrede. Hiermee is het, vooralsnog met handvijlen, mogelijk om met een continue draaiende beweging het kanaal te bewerken met minder risico op ledge-vorming en transport van debris naar apicaal.
In het eerste deel van de jaren 90 doen de, mechanisch aangedreven ‘rotaries’ hun intrede. Vaak met passieve snijkant en een vaste taper die niet alleen maar 2 procent is zoals de handvijlen, maar ook 4 en 6 procent. Deze eerste generatie rotaries zijn de eerste stap in de richting van het mechanisch reinigen en vormgeven van wortelkanalen. Echter zat er ook een addertje onder het gras. Voor de aandrijving van deze vijlen werd weliswaar een langzaam draaiend hoekstuk gebruikt, zoals ook voor lentulonaalden, maar er was weinig kennis van de risico’s van vijlbreuk door materiaalmoeheid en torsiekrachten. Zeker in combinatie met een grote hoeveelheid debris die in relatief korte tijd werd gegenereerd. Veel early adopters zijn hierdoor verrast, met vijlbreuk als gevolg, waardoor tot op heden de angst voor vijlbreuk bij het merendeel van de tandartsen aanwezig is.
De tweede, derde en vierde generatie rotaries (afbeelding 2) kenmerken zich door de
doorontwikkeling van de vijl op zich met meer actieve snijkanten en vervolgens door metallurgische verbeteringen (phase veranderingen van het nikkel-titanium martensite<->austenite) die de flexibiliteit verhoogt en vooral het breukrisico reduceert.
Als gevolg van verdergaande research zien we in het tweede decennium van deze eeuw een nieuw mechanisch principe zijn intrede doen; de ‘reciproce-beweging’. Alhoewel deze beweging niet geheel nieuw is voor wortelkanaal preparatie - we kennen al heel lang de zogenaamde ‘balanced-force techniek’ uitgevoerd met handvijlen- wordt bij deze systemen, de heen en weer gaande rotatiebeweging voorgeprogrammeerd in de software van de endomotoren. Grosso modo komt het erop neer dat een cyclus van 360 graden in drie stappen wordt voltooid. Hierbij is de - logischerwijs voorwaarts - snijdende draaihoek groter dan de terugdraaiende draaihoek waardoor de spanning van het instrument afgaat en eventueel debris loskomt.
Met deze nieuwe generaties zien we ook de vormgeving van de vijlen veranderen. Nieuwe productietechnieken maken het mogelijk om de vijlen machinaal vorm te geven. Dit geeft de ontwikkelaars de kans om vijlen te maken met een variabele taper, variabele pitch en de snijkanten op het apicale deel anders vorm te geven.
Parallel aan de ontwikkeling van de vijlen
afbeelding 3
verlies creëren maar wel voldoende ruimte voor irrigatie. Een ander voorbeeld is de Gentle-file. Een vijl met een dunne schacht die door de middelpuntvliedende kracht de onregelmatigheid van de kanaalwand beter kan volgen. En ook de SAF (Self Adjusting File) die door deze zelfde kracht zichzelf waar nodig kan verbreden om een reinigende werking op de kanaalwand uit te oefenen in combinatie met interne irrigatie. In principe valide concepten die, voor de gebruiker gecompliceerd zijn en waarschijnlijk hierdoor, commercieel niet succesvol.
Huidige behandelwijze
Inmiddels is er ook veel meer kennis over de pulpa en weten we dat er sprake is van een complex stelsel lumina in de wortels, waarin het pulpa weefsel aanwezig is. De focus is in de loop der jaren verlegd van mechanisch (vijlen) naar reinigen en desinfectie. Voortschrijdend inzicht met betrekking tot de microbiologie (smeerlaag, microbioom) heeft een behoefte geschapen naar reiniging in alle drie de dimensies, waarvan we weten dat die in de pulpa ruimten, niet geordend en schematisch afgebakend zijn. Het gebruik van desinfectantia en andere spoelmiddelen is essentieel, evenals het activeren hiervan.
afbeelding 4
afbeelding 5
zien we een ontwikkeling in de aandrijftechniek van de mechanische vijlen. De starre aandrijving zoals die was met een ‘gemodificeerd hoekstuk’ op de micromotor van de tandartsunit maakt plaats voor geavanceerde specialistische endomotoren met veiligheidsvoorzieningen, zoals een torque-control die het risico op vijlbreuk verminderen.
Inmiddels zijn we aan de vijfde generatie ‘rotaries’ toe. Met toenemende aandacht voor de anatomie van het wortelkanaalstelsel. Om deze reden zien we dat in de overgangen van de laatste generaties er een trend is naar niet alleen roterende, maar ook a-centrische instrumenten die soms met een niet te grote taper, minder weefsel-
Met deze veranderde inzichten is de wortelkanaalvijl een andere rol toebedeeld dan in de beginperioden van de endodontologie. Desalniettemin is er vanuit het veld heel veel aandacht voor de ‘vijl’ en regelmatig wordt de vraag gesteld: wat is/vind jij de beste vijl, meestal doelend op een systeem en anno nu ook ‘roterend of reciproque’. Vooralsnog kunnen we stellen dat de vijl nooit beter wordt dan degene die hem als instrument gebruikt. Hiermee gaat het niet zozeer over de vaardigheid van de behandelaar maar het blijkt in de praktijk maar al te vaak dat de behandelaar niet alle specificaties van zijn/haar instrumenten kent en daarmee het risico loopt, ongemerkt, over de grenzen van het product te gaan.
Belangrijk bij mechanische systemen is om voorafgaand aan het behandelen een einddoel vast te stellen in kaders van endodontische opening, lengte (afhankelijk van de status van de pulpa op dat moment), apicale diameter, het aantal zittingen waarin de behandeling zal plaatsvinden en de definitieve restauratie.
Velen van ons laten zich misleiden door
claims en teksten die behandelsystemen beschrijven. Zeker zijn er omstandigheden waarin een behandeling met enkele instrumenten in de opgegeven volgorde kan worden afgemaakt. Echter niet zelden zijn er in het grillige kanalenstelsel obstructies, obliteraties of krommingen die de directe benadering van het gewenste niveau ten opzichte van apicaal belemmeren.
Allereerst dient de behandelaar te weten of het kanaal in zijn gehele lengte toegankelijk is. Soms is dit op de beginfoto overduidelijk. Zo niet dan dient dit geverifieerd te worden bijvoorbeeld met een glidepath vijl of C-pilotvijl in een dunnere maat 0.8 /0.10. Velen geven hierbij de voorkeur aan NiTi wat weliswaar de eigenschap heeft met de curve mee te gaan, maar bij extremere krommingen te soepel is om een nauw kanaal te volgen. Alternatief in deze is een CrCo vijl waarvan de punt wordt voorgebogen in de richting van de kanaalkromming. Hier blijkt die ‘klassieke handvijl’ van grote waarde.
der. Kracht voor de progressie is uit den boze en geeft een groot risico op ledges, fausse-route of vijlbreuk. Op het moment dat dit wordt geconstateerd moet een alternatief gezocht worden om verder in het kanaal te komen. Niet eerder dan na gecontroleerd te hebben of er (röntgenologisch) een verklaring voor deze obstructie is, kan een stap terug worden gedaan naar een dunnere vijl of handvijlen waarmee het ‘apicale doel’ wel wordt bereikt.
Houd er rekening mee dat als een obstakel is genomen dezelfde zorg (of mogelijk iets meer) nodig is om het apicale doel te bereiken en de doelstelling met betrekking tot diameter en totaal lengte wordt gehandhaafd. Hierbij geldt ook dat de behandelaar zich hoedt voor over-preparatie, zeker in het apicale gebied. Het resultaat van de behandeling wordt namelijk mede bepaald door de (mogelijkheid) voor een goede en duurzame obliteratie.
Dit is in korte bewoordingen de status quo. Maar wat kunnen we in de toekomst verwachten? Is de vijl future-proof, de vraag in de kop van dit artikel?
In de jaren heb ik vele malen mee kunnen en mogen denken over de toekomst met betrekking tot producten en behandelstrategieën, vaak als vervolg op het brainstormen en denken over idealen. Afsluitend mijn wens voor de ‘vijl’ en de toekomst.
De toekomst?
afbeelding 6
Gulden regel voor mechanische vijlsystemen (zowel rotatie als reciproque) is dat de vijl zijn ‘eigen weg’ wel zoekt, wat mede te danken is aan de niet-snijdende punt van deze vijlen (afbeelding 6). Geen probleem in de wat wijdere kanalen, maar ook hier moet de behandelaar de regie houden. Niet de vijl naar apicaal door laten gaan tot er teveel weerstand is, maar met een licht op en neer gaande beweging, na driemaal aangrijpen en maximaal 1mm progressie per keer de vijl uit het kanaal halen, reinigen en het kanaal spoelen alvorens verder te gaan. Idealiter naar het gewenste apicaal punt. De praktijk is meestal anders. Op een moment wil de vijl niet meer ver-
Allereerst is de ‘vijl’ voorlopig niet passé, maar zou bij voorkeur beperkt moeten blijven tot het instrument om een marginale entree te creëren. Voor een vloeistof die na inbrengen, zelfstandig, naar apicaal, lateraal en in de tubuli gaat. Daar aangekomen zich transformeert (bijvoorbeeld door microbots) tot een agens dat desinfecteert en necrotisch weefsel inert maakt. Hierna modificeert het zich tot een onoplosbare ‘kanaalvulling’.
Rob Vermaas is tandarts en sinds 2000 als consultant betrokken bij de ontwikkeling, implementatie en ondersteuning van diverse tandheelkundige producten.
Daarnaast is hij docent en trainer en mede-initiatiefnemer van de Dental Best Practice leergang Endodontologie.
https://academiae.nl/leergangendodontologie
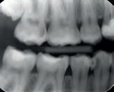
Een mid mesiaal kanaal is een extra wortelkanaal dat zich bevindt in het midden van de mesiale wortel van een ondermolaar. Vaak worden de mesiobuccale en de mesiolinguale kanalen wel gevonden, maar het is goed om te weten dat in een klein aantal gevallen in de mesiale wortel van een ondermolaar - tussen het mesiobuccale en het mesiolinguale kanaal - een derde wortelkanaal kan voorkomen. Het kan moeilijk zijn om dit kanaal te detecteren, omdat het soms een wat afwijkende vorm kan hebben of verborgen kan zijn onder calcificaties. Hier geef ik aan de hand van een casus wat meer informatie over mid-mesiale wortelkanalen.
Een mid mesiaal kanaal is soms aanwezig in de ontwikkelingsgroef tussen de andere mesiale kanalen, te weten het mesiobuccale en het mesiolinguale kanaal. Een systematische review naar de prevalentie van mid-mesiale kanalen leverde nogal uiteenlopende cijfers op. De prevalentie van middelste kanalen in de verschillende populaties varieerde van 0,26% tot 53,8%, maar aangetekend moet worden dat er geen goede beoordeling van de kwaliteit van de studies had plaatsgevonden. Een studie waarin CBCT werd gebruikt liet zien dat van 216 eerste ondermolaren, 11,1% een mid mesiaal kanaal had. In vergelijking, bij de tweede molaar had van de 228 molaren slechts 1,75% het mid mesiale kanaal. Het is belangrijk op te merken dat deze percentages slechts schattingen zijn op basis van onderzoek en dat per casus altijd goed moet worden gezocht naar de aanwezigheid van extra wortelkanalen.
Het niet herkennen en behandelen van een mid mesiaal kanaal kan natuurlijk vervelende gevolgen hebben. Als dit kanaal niet wordt gereinigd en afgesloten tijdens een wortelkanaalbehandeling, kan het leiden tot een mislukte behandeling, omdat bacteriën in het gemiste kanaal kunnen ach-
terblijven en een nieuwe infectie kunnen veroorzaken waardoor chronische pijn, zwelling en ontsteking kunnen ontstaan. Ook bij een endodontische herbehandeling aan een eerste ondermolaar moet gedacht worden aan het voorkomen van een mid-mesiaal wortelkanaal. In sommige gevallen kan de complexiteit van een mid mesiaal kanaal leiden tot het doorverwijzen van de patiënt naar een tandarts-endodontoloog.
Kortom, een mid mesiaal wortelkanaal is een extra kanaal dat zich bevindt in het midden van de mesiale wortel van een meestal eerste ondermolaar.
Bij deze patiënte was gebitselement 36 erg pijnlijk en had een extreem pijnlijk reactie op een koudetest. Patiënte was al even niet meer bij de tandarts geweest en had al twee dagen niet kunnen slapen van de kiespijn. Op de röntgenfoto (afbeelding 1) is onder andere te zien dat gebitselement 36 een diepe restauratie heeft, de restauratie van gebitselement 37 secundaire cariës toont en dat er distaal van de 37 een forse brok subgingivaal tandsteen aanwezig is. Er is geen duidelijk periapicaal granuloom
te zien en dat maakt dat de diagnose een irreversibele pulpitis is. Het plan was om een pulpotomie te doen.
Bij het openen van het gebitselement (na toedienen van anesthesie en het aanbrengen van cofferdam) bleek er cariës distaal aanwezig te zijn. Dat werd eerst weggenomen. Vervolgens werd de pulpakamer opgezocht. Bij het openen van de pulpakamer, kwam er wat pus ophoog. Omdat de aanwezigheid van pus een contra-indicatie is voor een pulpotomie, werd een ini -
Literatuur:
Bansal R, Hegde S, Astekar M. Morphology and prevalence of middle canals in the mandibular molars: A systematic review. J Oral Maxillofac Pathol. 2018 MayAug;22(2):216-226.
tiële wortelkanaalbehandeling uitgevoerd. Na het lokaliseren van de twee distale en de twee mesiale kanalen, viel het op dat in het mesiolinguale kanaal een restant pulpaweefsel bleef ‘hangen’ nadat het element zorgvuldig was gespoeld. Verdere exploratie leerde dat hier sprake was van een mid-mesiaal wortelkanaal. In totaal werden in deze casus dus 5 wortelkanalen gevonden!
Daags na de initiële wortelkanaalbehandeling was patiënte pijnvrij.
• Barros-Costa M, Ferreira MD, Costa FF, Freitas DQ. Middle mesial root canals in mandibular molars: prevalence and correlation to anatomical aspects based on CBCT imaging. Dentomaxillofac Radiol. 2022 Dec 1;51(8)
Afbeelding 1. Gebitselement 36 heeft een diepe restauratie en er is, secundaire cariës mesiaal van de 37 (en een forse brok subgingivaal tandsteen). Er is geen duidelijk periapicaal granuloom te zien. Let op de morfologie van de mesiale radix, hier lijkt in retrospect een aanwijzing voor een mid-mesiaal kanaal.
Afbeelding 2. Het plan was om een pulpotomie te doen. Bij het openen van de pulpakamer, kwam er wat pus ophoog. Omdat de aanwezigheid van pus een contra-indicatie is voor een pulpotomie, werd besloten om een initiële wortelkanaalbehandeling uit te voeren.
Afbeelding 3. De mesiale kanalen lijken wel een vitale pulpa te hebben, deze bloedt bij het openen.
Afbeelding 4. Het viel op dat in het mesiolinguale kanaal een restant pulpaweefsel bleef ‘hangen’ nadat het element zorgvuldig was gespoeld. Verdere exploratie leerde dat er hier sprake was van een mid-mesiaal wortelkanaal. Op de foto is fraai te zien dat het echt om twee aparte kanalen gaat.
Afbeelding 5. In totaal worden er in dit gebitselement dus 5 wortelkanalen gevonden. Waarschijnlijk zijn er nog talloze anastomoses, maar die moeten we schoonkrijgen door een goed spoelprotocol.
Dr Richard Hakse
Richard Hakse heeft zijn tandheelkundige opleiding voltooid in Groningen, Nederland. De opleiding tot tandarts – endodontoloog heeft hij in 2014 voltooid aan de KU Leuven. Tot 2018 is hij verbonden geweest aan de vakgroep Endodontologie van de KU Leuven. OpditmomentvoerthijeenverwijspraktijkinOirschotenishijverbondenaandevakgroepEndodontologievan de ACTA te Amsterdam.
Het reinigen en vormgeven van de wortelkanalen speelt een belangrijke rol bij het verwijderen van organisch debris binnen het endodontische systeem.
Het bereikte resultaat moet echter in de loop van de tijd worden behouden door een effectieve wortelkanaalvulling die het binnendringen van micro-organismen en weefselvocht in het wortelkanaalsysteem tegenhoudt en een herinfectie zal voorkomen.
Een ‘warme’ vultechniek zal een optimale adaptatie van de gutta-
Aan de hand van deze step by step case zal de Warme Verticale Condensatie techniek uitgelegd worden met de Elements IC van Kerr Endodontics.
*Warmgutta-perchaobturationtechnique:acriticalreview, Tortini,Grassi, Cagliani,MinervaStomatol2011
Afbeelding 1: begin situatie element 43
Afbeelding 2: element 43 onder rubberdam
Afbeelding 3: na preparatie volgt het passen van de hoofdstift
Afbeelding 4: passen van de juiste heatcarrier welke “vast” moet lopen tussen de 4 en 6mm van de werklengte
Afbeelding 5: het plaatsen van de hoofdstift met sealer
Afbeelding 6: de heatcarrier wordt verwarmd en tot op lengte in het kanaal gebracht en wordt vervolgens 10 sec op zijn plaats gehouden tijdens de afkoelfase
Afbeelding 7: na opnieuw verwarmen van de heatcarrier(1s) wordt deze samen met overtollige gutta-percha uit het kanaal gehaald. De gutta-percha in het kanaal wordt met een plugger aangeduwd
Afbeelding 8: het kanaal wordt opnieuw voorzien van enige sealer
Afbeelding 9: door de warme naald van het backfill apparaat in het kanaal op de kanaalvulling te plaatsen, het apparaat te activeren en het kanaal te vullen wordt een 3D vulling gecreëerd
Afbeelding 10: element 43 voorzien van een restauratie
Afbeelding 11-12: eindresultaat element 43
Eén van de symptomen bij een parodontitis apicalis kan een fistel zijn. Dit is een afvoerkanaal vanuit een ontsteking in de kaak. Deze zoekt altijd de weg van de minste weerstand en vaak is dat ter hoogte van een apicale haard op apicaal niveau. Soms uit de fistel zich in de vorm van een pocket. In dat geval loopt die weg van de minste weerstand via de sulcus naar ‘buiten’. Dit kan bijvoorbeeld te maken hebben met de aanwezigheid van een fractuur. Dan zie je vaak een combinatie van zowel een fistel als een solitaire pocket. Dit kun je beschouwen als een ‘dubbele fistel’.
Regelmatig zit die fisteluitgang niet apicaal. In het geval van een dergelijke ‘dubbele fistel’ moet je dus altijd bedacht zijn op de aanwezigheid van een fractuur. Soms is deze direct te zien op het oppervlak van de kies. Soms is deze pas te zien na het endodontisch openen van de kies. Mocht er geen fractuurlijn zichtbaar zijn, dan is het aan te raden een endostart uit te voeren en de kies af te sluiten met een stevige tijdelijke vulling. Na twee tot drie maanden kun je dan het fistel- en pocketverloop evalueren. In het geval beide verdwenen zijn, is het verantwoord de behandeling af te ronden. Is de pocket en/of de fistel nog in situ, dan is dat indirect een bewijs voor de aanwezigheid van een fractuur en heeft het gebitselement een slechte prognose.
Casus
In augustus 2021 bezocht een 67-jarige dame onze praktijk vanwege een jarenlang aanwezige fistel linksonder. Dit gebied had al die tijd klachten gegeven, maar niet dermate ernstig dat ze er iets aan wilde laten doen. Kauwen ging altijd goed. De tandarts zag ook een pocket en dacht aan een resorptiedefect in het kroongedeelte van de kies.
Medische achtergrond
Mevrouw heeft een goed-functionerende knieprothese uit 2014, een hoge bloeddruk die met medicatie onder controle is, vanwege diabetes gebruikt ze langdurende insuline, ze heeft een gastric bypass en neemt maagbeschermers. Mevrouw is een fervent roker.
Intra-oraal onderzoek (foto 1)
• Tekenen van bruxisme: abrasieën, barsten in elementen
• Grote, maar goed aansluitende composietrestauratie MODL, de buccale wand van de kies is nog intact
• Percussie: +/-
• Palpatie: +/-
• Pockets: solitaire pocket ter hoogte van de buccale furcatie
• Fistel: cervicaal.
Röntgenonderzoek (foto 2)
• Radiolucentie rondom de coronale mesiale pulpa
• Forse halo-vormige peri-apicale radiolucentie
• De tracing van zowel de pocket als de fistel verlopen naar het interradiculaire gebied.
Diagnose
Symptomatische parodontitis apicalis met dubbele fistel ten gevolge van infectie met een proces van interne resorptie. Mogelijk wortelfractuur.
Therapie
Endodontische behandeling 37, indien zinvol en mogelijk.
We hebben tijdens het consult zoals altijd alle behandelopties met bijbehorende risico’s en kosten besproken. Mevrouw was erg gemotiveerd om de kies te behouden en wilde graag dat we zouden behandelen. Gezien de interne resorptie, de locatie van de ‘dubbele fistel’ en het forse defect, hebben we eerst een zogenaamde ‘kijkafspraak’ gepland. We hebben door de bestaande vulling geopend met gebruik van een microscoop.
Bij het betreden van de pulpakamer kwam er veel bloed vrij (foto 3), met name vanuit het distale kanaal. Hierbij ging het niet om een vitale pulpa, maar om een bloeding vanuit de periapex. Er waren drie kanalen in situ. Mesiaal zagen we het resorptiedefect naast de pulpa. Hier was geen perforatie aanwezig. Het was mogelijk om in alle kanalen apical patency te verkrijgen. Na uitgebreid te hebben gespoeld met 2% na-
triumhypochloriet (ultrasoon geactiveerd) hebben we de kies afgesloten met Cavit en Ketac Fil. We hebben een afspraak gepland voor fistelcontrole na 3 maanden.
De fistel was na deze periode verdwenen en de pocket was duidelijk verminderd in diepte. We hebben met mevrouw besproken dat de behandeling afgerond kon worden, maar dat de prognose voor de lange termijn niet helemaal zeker is. Aangezien ze voelde dat het gebied na de eerste behandeling helemaal rustig was geworden, wilde ze graag de vervolgbehandeling plannen.
De drie kanalen zijn verder geprepareerd en gespoeld met twee procent natriumhypochloriet (via ultrageluid geactiveerd) en EDTA onder isolatie van rubberdam (foto 4). De 3 kanalen zijn gevuld met guttapercha en AH26 via een hybride vultechniek (foto 5 en 6). Er is een plastische opbouw vervaardigd van het composiet opbouwmateriaal Clearfil Core diep verankerd in de kanalen. Er is een definitieve restauratie vervaardigd van composietmateriaal Z250 kleur A3 zonder overkapping van de aanwezige knobbels. Foto 7 toont het rönt-
genologische eindresultaat. Na ongeveer één jaar zagen we haar terug voor controle. Mevrouw was klachtenvrij sinds de behandeling en de kies was nog steeds functioneel. We constateerden:
Klinisch
• Percussie: +/-
• Palpatie: -
• Pockets: -
• Mobiliteit: -
• Fistel: -
Röntgenologisch (foto 8)
De periapicale radiolucentie is verdwenen.
Diagnose
Genezing.
Hoewel de kies in onze optiek in eerste instantie verdacht was voor een breuk, bleek daarvan geen sprake te zijn. Wanneer er een reële kans is dat een kies niet te redden is, is een behandeling in twee zittingen vaak een mooie oplossing. Wanneer na de eerste zitting blijkt dat de kies toch verloren is, hebben we in ieder geval alles geprobeerd om de kies te redden en de patiënt hoeft niet de hoofdprijs te betalen.
Marilka Elst en Flore Heiligers-Teeuwen zijn
NvvE-erkende tandarts-endodontologen en voeren in Bussum een verwijspraktijk voor endodontologie, EndoGooi
In deze editie van Vast en Zeker gaan we, geïnspireerd door dit themanummer endodontologie, dieper in op de definitie, de oorzaken, preventie en de behandeling van retrograde peri-implantitis.
Als een element endodontisch en/of restauratief niet meer te behouden is, dan wordt deze doorgaans geëxtraheerd. Eventueel granulatieweefsel in de apicale regio dient na verwijdering van het element goed verwijderd te worden. We noemen dit ook wel ‘curettage van de alveole’.
Achtergebleven granulatieweefsel belemmert goede genezing van het bot en kan zelfs een ontsteking veroorzaken aan de apex van een later te plaatsen implantaat. We gebruiken hiervoor de term retrograde peri-implantitis, oftewel, een ontsteking aan de apex van het implantaat. Retrograde peri-implantitis kan ook optreden wanneer een implantaat naast een element met een parodontitis apicalis wordt geplaatst.
taat normaal botcontact is. Dit gaat vaak vergezeld met zowel klinische symptomen zoals pijn, zwelling en/of de aanwezigheid van een fistel tezamen met de aanwezigheid van periapicale radiolucentie.1
Wanneer er alleen sprake is van een radiolucent beeld onder het recent geplaatste implantaat, zonder aanwezigheid van bovengenoemde symptomen, dan spreekt men niet van retrograde peri-implantitis. Het ontstane beeld van radiolucentie wordt dan doorgaans veroorzaakt door het gebruik van een implantaat dat korter is dan de geboorde lengte van de osteotomie, of door necrose van het bot door warmteontwikkeling tijdens het boren als gevolg van onvoldoende koeling. De radiolucentie veroorzaakt door botnecrose hoeft doorgaans niet behandeld te worden mits deze niet in grootte toeneemt en klachtenvrij is.2, 3
De kans op het ontstaan van een retrograde peri-implantitis is zeldzaam. Onderzoek na plaatsing van 3.800 implantaten laat retrograde peri-implantitis zien in 0,3 procent van de geplaatste implantaten.4 Andere onderzoeken komen soms op iets hogere percentages uit.1, 5
Retrograde peri-implantitis, mogelijke oorzaken
We spreken van een retrograde peri-implantitis als er een ontsteking rondom de apex van een implantaat ontstaat terwijl er bij het coronale gedeelte van het implan-
Verscheidene oorzaken kunnen ten grondslag liggen aan het ontstaan van retrograde peri-implantitis.
1. Bacteriële infectie door contaminatie tijdens plaatsing van het implantaat.
2. Premature overbelasting van het implan-
taat welke tot microfracturen in het bot leidt.
3. Aanwezigheid van overgebleven bacteriën in het bot, zoals achtergebleven granulatieweefsel van een eerdere ontsteking aan een wortelpunt (afbeelding 4a, b).
4. Infectie via een buurelement met een reeds aanwezige parodontitis apicalis.
5. Infectie via een buurelement welke na implantaatplaatsing een parodontitis apicalis ontwikkelt. De peri-apicale laesie kan vervolgens groter worden en het implantaat bereiken (afbeeldingen 5a-d).
Diverse onderzoeken tonen aan dat er een relatie is tussen het verliezen van een implantaat en een periapicale laesie van het buurelement. Zo bestaat er onderzoek waarin wordt geconcludeerd dat 25 procent van de implantaten die naast een element met periapicale laesie worden geplaatst retrograde peri-implantitis ontwikkelen.5 Een ander onderzoek geeft aan dat bij verloren gegane implantaten er vijf keer vaker een periapicale laesie aanwezig blijkt te zijn bij een buurelement.6 Zo zijn
Afbeelding 2a-c. Immediaat geplaatst implantaat op locatie 22. Voorafgaand aan de behandeling was er geen sprake van een periapicale radiolucentie. Kort na het plaatsen van de kroon op het implantaat ontstond er een fistel met periapicale radiolucentie.
Afbeeldingen 3. Periapicale lucentie rond de apex van het implantaat op locatie 44.
Afbeeldingen 4 a, b. Achtergebleven wortelrest met parodontitis apicalis heeft geleid tot een retrograde peri-implantitis.
er nog meer onderzoeken die resultaten van vergelijkbare strekking geven.
Ondanks het feit dat bovengenoemde onderzoeken statistisch gezien weinig sterk zijn, is het te adviseren om alvorens een implantaat te plaatsen naast een element met een periapicale laesie, deze altijd eerst endodontisch te (her-)behandelen. Volledige genezing van een periapicale laesie is doorgaans vaak pas na een jaar zichtbaar. Het is niet altijd wenselijk zo lang te wachten alvorens een implantaat naast het behandelde element te plaatsen. De grootte van de laesie, afstand van de laesie tot het te plaatsen implantaat en kwaliteit van de endodontische behandeling en de prognose daarvan door de behandelaar/specialist bepalen uiteindelijk hoe lang er wordt gewacht alvorens het implantaat te plaatsen.
Er is geen consensus over het juiste behandelprotocol voor retrograde peri-implantitis. Indien de retrograde peri-implantitis wordt veroorzaakt door een parodontitis apicalis van een buurelement, dan dient vanzelfsprekend eerst het buurelement
Volledig perslucht gedreven systeem voor minimaal invasieve preparatie en prophylaxe behandelingen
Inclusief een GRATIS Zilfor Cart bij aanschaf van een AquaCare in onze webshop. Code: DENTISTA2023
Ontworpen voor de meest uiteenlopende tandheelkundige uitdagingen
RestauratieEndodontologieOrthodontieMondzorgImplantologie
Parodontologie
Inclusief luxe draagtas voor uw patiënten
De #1 whitening gel in de UK!
Krachtige formule met:
6% waterstofperoxide voor 1,5 uur per dag
10% carbamide peroxide voor 4-6 uur per dag
16% carbamide peroxide voor 4-6 uur per nacht
€39,37 per kit
Multi Award Winning Whitening Gel:
Inhoud per kit: 4x 3ml spuit, genoeg voor 3 weken Opbergdoosje voor bleek tray
Luxe draagtas
endodontisch behandeld te worden. Doorgaans geneest dan ook de retrograde peri-implantitis (afbeelding 5a-d). In gevallen waarbij geen genezing van de retrograde peri-implantitis optreedt na endodontische behandeling van het buurelement, of in situaties waarbij het buurelement niet de oorzaak is van de retrograde peri-implantitis, kan chirurgische verwijdering van het apicale geïnfecteerde deel van het implantaat worden overwogen. In feite voert men dan een apexresectie uit bij het implantaat. Verwijdering van het implantaat, curettage van de osteotomie en herbehandeling kan natuurlijk ook altijd worden overwogen.4, 8 Curretage van het implantaat zonder verwijdering van het apicale gedeelte leidt zelden tot succes. Een volledige reiniging van het blootliggende apicale gedeelte van het implantaat is door de beperkte toegankelijkheid immers onmogelijk.
Conclusie
Er wordt gesproken over retrograde peri-implantitis indien er sprake is van een apicale laesie met klachten bij een implantaat waarbij er coronaal wel goed botcontact aanwezig is. De laesie kan het gevolg zijn van een persisterende infectie in het bot. Om deze reden dient de alveole na verwijdering van een element met apicale laesie direct grondig gecuretteerd te worden. Ook dienen de eventuele buurelementen
van een te plaatsen implantaat vooraf goed beoordeeld te worden op de aanwezigheid van apicale laesies of de kans van het ontstaan hierop. Indien er toch een retrograde peri-implantitis ontstaat worden eerst de buurelementen endodontisch (her)behandeld indien nodig. Pas daarna, of indien endodontische (her)behandeling niet nodig is kan een apicale resectie van het implantaat worden overwogen.
Andriessen is
als tandarts-implantoloog bij het Tandheelkundig Centrum Wilhelminapier (www.tand-implant.nl) te Rotterdam. David Rijkens is werkzaam als tandarts-implantoloog bij Mondzorg Kudelstaart (www.mondzorgkudelstaart.nl). Zij zijn daarnaast beiden cursusleider en docent van de MasterClass Implantologie van het ACTA (http:// www.acta-de.nl).
De zenuwen krijgen van een endo. Dat is toch iets voor de behandelaar, niet voor de praktijkmanager? Dat klopt, als alles loopt zoals het zou moeten lopen. Maar helaas is dit in de praktijk nog weleens anders en kan jij daar als praktijkmanager nog onnodig druk mee zijn. Denk hierbij aan niet of onjuist begroten, tussendoor plannen van endobehandelingen, het uitbesteden aan specialisten met wachtlijsten waar de patiënt niet op kan wachten, de verwachtingen van de patiënt die anders zijn dan de werkelijkheid, te weinig endomotoren. Allemaal zaken die bij jou als praktijkmanager terechtkomen. En dat is prima, want daar ben je praktijkmanager voor, maar hoe leid je dat in goede banen en zorg je ervoor dat je geen brandjes aan het blussen bent?
Om de endododontische behandelingen in de praktijk goed te laten verlopen is het zaak om eerst te kijken waar de knelpunten zitten. Dit kunnen er meerdere zijn die je stuk voor stuk moet aanpakken. Zo behoud je het overzicht en zijn eventuele veranderingen hierin ook voor het team goed te begrijpen.
Begrotingen kun je standaardiseren. Dit scheelt een hoop tijd en is makkelijk toe te passen voor de behandelaar. Maak met de behandelaar de gewenste standaard begrotingen aan. Houd daarbij wel rekening met het aantal kanalen. Wanneer een patiënt met een pijnklacht komt en er een endodontische behandeling gestart moet worden is het wel fijn dat er een akkoord is. Indien deze mondeling wordt afgegeven zodat de behandeling kan worden gestart, noteer je dit goed in de patiëntenkaart en stuur je altijd nog de begroting na zodat er geen misverstanden kunnen ontstaan. Let er dan ook op dat de verrichtingen die al
zijn gedaan bij het starten van de behandeling er ook op worden vermeld. Dit alles scheelt een hoop vervelende telefoontjes achteraf.
Volle agenda’s zijn fijn, daar streven we naar. Maar wanneer er op korte termijn een endodontische behandeling ingepland moet worden en de agenda’s staan al weken vol, dan is dat niet prettig. Dit kan onnodige afspraken tussendoor gaan geven omdat de behandeling nog niet afgerond is. Voor niemand is dat prettig, niet voor de patiënt, niet voor de behandelaar en niet voor degene die de afspraken in moet plannen. Ga hierover met het team in gesprek om te kijken hoe dit op te lossen. Iedereen heeft zijn eigen idee hierover en het belangrijkste is dat het voor de praktijk gaat werken. Uiteraard kan je langer doorgaan in de lunchpauze of na werktijd, maar er zijn ook nog assistenten waar rekening mee gehouden dient te worden. Voor een keer is het niet erg, maar wanneer dit toch
met enige regelmaat voorkomt kan dit irritaties gaan veroorzaken. Gedacht kan worden aan het afblokken van tijden in de agenda hiervoor. Zijn een week van tevoren deze blokken nog niet ingevuld dan kan je daarvoor een melding instellen, zodat dit alsnog kan worden ingebeld. Bij volle agenda’s is dat vaak ook zo weer opgevuld. Bekijk per behandelaar/agenda wat wenselijk is hierin. Maak ook een bellijst aan. Wanneer er dan een langere afspraak in de agenda wordt geannuleerd, kan je patiënten bellen om eerder te komen.
Om in beeld te krijgen welke endodontoloog er een wachtlijst heeft en wie niet is makkelijk te achterhalen door de praktijken te benaderen en dit na te vragen. Ook goed om te weten hoe hun werkwijze is en hoe zij omgaan met spoed. Dit is in de communicatie naar de patiënt ook prettig. Wanneer een patiënt wordt doorverwezen en erbij wordt vermeld dat er een wachtlijst is dan is de patiënt hierop voorbereid en dat scheelt weer onnodige telefoontjes. Voor de behandelaar is het fijn te weten welke praktijk geen wachtlijst heeft en hoe de procedure is met verwijzen. Ook dit scheelt weer onnodige telefoontjes. Voor de praktijk kan het ook interessant zijn om een tandarts met interesse in endodontologie te gaan ondersteunen met de nodige apparatuur zodat er zo min mogelijk verwezen hoeft te worden. Dit is prettig voor de patiënt en de behandelaar en een mooi verdienmodel voor de praktijk.
De verwachting van de patiënt kan anders zijn dan de werkelijkheid. Wanneer
een patiënt met een klacht komt waar een endodontische behandeling op volgt, kan de verwachting van de patiënt zijn dat de klachten daarna over zijn. Dit hoeft zeker niet zo te zijn. Wanneer een endodontische behandeling afgerond is en de verwachting van de patiënt is dat er geen ontsteking meer kan komen aan de tand of kies, kan dit eventueel ook voor een teleurstelling zorgen. Dit zijn verwachtingen die van tevoren goed op te vangen zijn door de juiste communicatie en voorlichting mee te geven. Dat scheelt achteraf vervelende telefoontjes en teleurstellingen bij de patiënt.
Planning endo en gebruik van materialen
Wanneer op meerdere kamers gewerkt wordt door verschillende tandartsen, dan is het fijn dat alle materialen aanwezig zijn, ook voor het uitvoeren van een endodontische behandeling. Wanneer met een endomotor wordt gewerkt en er is er maar één, of in ieder geval minder dan het aantal kamers, dan kan dat lastig worden wanneer er op hetzelfde tijdstip in meerdere kamers een endontische behandeling plaatsvindt. Dit is vervelend voor de behandelaar en de patiënt. Om dit te voorkomen is een investering in materialen zoals endomotoren noodzakelijk. Dat voorkomt ergernis bij iedereen. Een andere oplossing is om endodontische behandelingen niet gelijktijdig in te plannen.
Wanneer je als praktijkmanager alle punten voor endodontologie goed hebt uitgevoerd dan merk je dat je er niet meer de zenuwen van hoeft te krijgen en zo tijd overhoudt voor andere zaken die jouw aandacht nodig hebben.
Onze geheel vernieuwde website is een uitgebreide bron van informatie over tandimplantaten en gerelateerde behandelingen.
Met de Mijn Implantaat app wordt jouw patiënt stap voor stap begeleid van behandeling naar herstel.
Onze gloednieuwe brochure biedt alle essentiële informatie die patiënten nodig hebben.
Bestel hem nu via onze E-catalog, of vraag aan via info@mijnimplantaat.nl.
mijn
Mijn ochtendshift is voorbij, de nabespreking is geweest en met een kopje thee start ik aan mijn administratie. Vanuit de Jungle kamers hoor ik vrolijke geluiden van kinderen. Mijn collega Daisy vraagt of ik even wil komen kijken, het gaat om een nieuwe aanmelding bij Jungle tandartsen, een meisje van drie. Ze heeft twee staartjes en guitige ogen en kijkt me vrolijk aan, met één vinger wijzend naar haar voortand. Die is grijs en dat vindt ze niet zo mooi. Volgens haar ouders was ze er anderhalf jaar geleden op gevallen. Spelenderwijs maken we een solo op de krokodil. Dat ging super, nu wil ze het zelf ook proberen.
Apicale radiolucentie, geen pijn. De opvolger is nog ver verwijderd. Ik overleg met de ouders en aan het vrolijke meisje
stel ik voor een tentje te maken om haar tand en deze dan schoon te maken, eerst op de krokodil en daarna bij haar zelf. Ze stemt in, Daisy en mijn assistente zetten alles klaar en na het uitkiezen van de roze glitterbril gaat ze weer in de stoel liggen.
Voorzichtig maak ik een kleine opening in de 51, haal een deel van het verkleurd dentine weg en kijk tussendoor naar haar vingers die de hartvormige regenboog pop-it aan het indrukken zijn. Met extra korte vijlen en ingebouwde apex locator, weten we het element op te vijlen, het kanaal te spoelen, te drogen en op te vullen met calciumhydroxide met jodoform.
Ik zie in mijn ooghoek een been wiebelen, de koek is op, met afleidingsmanoeuvres en complimenten is het gelukt een pala-
tinale restauratie te maken. Een high five voor deze jongedame.
Een solo maken lukte ook nog, voor mij een hoera moment. Het element is lichter van kleur, maar nog aan de grijze kant. Na uitleg aan de ouders, zijn ze tevreden hoe deze behandeling is verlopen. Complimenten voor het team.
Toch blijft het bij mij een beetje knagen… Wat zou jij doen als het kind het element nog niet mooi vindt en goed behandelbaar is?
Mondzorgprofessionals krijgen regelmatig te maken met patiënten met kaak-, aangezichtsen halsklachten. De zogenaamde orofaciale klachten. Logisch, omdat een patiënt met pijn in de mondregio of aan het gebit zich meestal als eerste tot hen richt. De klachten zijn niet alleen van invloed op het welzijn van de patiënt, maar kunnen de mondhygiëne of tandheelkundige behandelingen ook belemmeren. Daarom is er voor mondzorgprofessionals een belangrijke rol weggelegd in het herkennen en eventueel doorverwijzen naar een expert die gespecialiseerd is in klachten in het hoofd- en halsgebied; De orofaciaal fysiotherapeut. Een multidisciplinaire aanpak levert de beste zorg op voor de patiënt.
In mijn praktijk in Woerden behandel ik als orofaciaal fysiotherapeut patiënten met Temporo Mandibualaire Dysfunctionele (TMD) klachten: kaakgewrichtsklachten en de gevolgen van bruxisme. Daarom word ik ook wel eens kaakfysiotherapeut genoemd. Maar een orofaciaal fysiotherapeut behandelt meer dan alleen de kaken. Ik behandel - zoals ik het altijd zeg - het mooiste deel van het menselijk lichaam, namelijk het hoofd.
Het hoofd
“ Het hoofd is wie je bent ”, zeg ik altijd. In je hoofd zitten je gedachten, je persoonlijkheid en je zintuigen en daarmee beleef je de wereld. Het gezicht is jouw visitekaartje, het bepaalt de eerste indruk en is jouw communicatiemiddel met anderen.
Klachten in dit gebied hebben veel impact op je dagelijkse leven. Het zijn immers klachten met eten, drinken, zingen, zoe-
nen, spreken en sociale contacten. Dus eigenlijk alles wat het leven de moeite waard maakt!
Psychosociale factoren zoals drukte, stress, zorgen en life events hebben grote invloed op het hoofd. Patiënten kunnen dit ongemerkt afreageren via de mond en de kaken. We zeggen niet voor niks ‘even doorbijten’, ‘op je tandvlees lopen’ of ‘het voor je kiezen krijgen’. Dit is omdat mensen dit letterlijk kunnen gaan doen (afbeelding 1). Doe je dit te lang en te veel dan geeft het tandheelkundige-, endodontische- en kaakklachten. Minder bekend, maar eigenlijk heel verklaarbaar, is dat problemen in het kauwstelsel ook klachten geven zoals oorpijn, tinnitus (oorsuizen), hoofdpijn en aangezichtspijn. Het is ook van invloed op pijn in de nek, rug en schouder.
Voor herstel en ter voorkoming van klachten is het noodzakelijk dat belasting en belastbaarheid in evenwicht zijn. Hoe de behandeling er precies uitziet hangt af van de symptomen en oorzaken. Soms is advies en instructies geven al voldoende. Maar vaak bestaat de behandeling ook uit massage van gelaat, hals, nek en rug of mobilisatie van het kaakgewricht (art. mandibulairs) en de wervelkolom. Daarnaast krijgt de patiënt oefeningen mee voor thuis om klachten te verminderen en controle over de klachten te vergroten.
Door onbekendheid over orofaciale fysiotherapie lopen mensen onnodig rond met klachten aan dit gebied. Juist in een tandheelkundige praktijk is er een jarenlange band met de patiënt, daarom zijn deze behandelaars bij uitstek geschikt om problemen in het leven, het hoofd en kauwstelsel te signaleren.
De beste behandeling vindt multidisciplinair plaats, vaak samen met mondzorgprofessionals zoals kaakchirurgen, orthodontisten, gnatologen, endodontologen, tandartsen en mondhygiënisten. Korte lijnen en delen van informatie zijn van groot belang. Na de behandeling ontvangt
de huisarts en de tandheelkundige praktijk een eindrapportage. Dan hebben zij alle informatie om nu, maar ook in de toekomst, de (mond)gezondheid van de patiënt te waarborgen.
Vertrouwen en communicatie
Bij orofaciale klachten gaat het om een intiem gebied; het gezicht en de mond. Bij een tandarts of mondhygiënist wordt dit door de patiënt verwacht. Bij een fysiotherapeut over het algemeen niet. Om de behandeling te laten slagen is het belangrijk dat de patiënt de orofaciaal fysiotherapeut vertrouwt. Daarom probeer ik de patiënt goed te leren kennen en na te gaan wat hem of haar beweegt. De patiënt is namelijk geen wandelend klacht, maar een mens.
De meest voorkomende orofaciale klachten die mondzorgprofessionals in de praktijk tegen zullen komen zijn; gebitschade door mondgedrag of bruxisme, onbegrepen tand- of kiespijn of endoproblematiek. Daarnaast ook pijn, geluid of functiebeperking van het kaakgewricht.
De oorzaak van deze klachten is veelzijdig; zoals dysfunctie van de wervelkolom,
Intraoral scanning that simply makes sense
Hygienic by design for minimal risk of cross-contamination. Smaller and lighter than ever for next-level ergonomics. And a ScanAssist engine with intelligent-alignment technology that makes precision scanning effortless, every time.
aangeboren afwijkingen, nevenpathologie, trauma en operaties of tandheelkundige behandelingen. Maar ook lichaams- en slaaphouding, parafuncties, zoals kauwgom kauwen, nagelbijten, lipspelen of muziekinstrumenten en bruxisme.
Het herkennen van orofaciale klachten in de behandelkamer
• Pijn aan het kaakgewricht of in het gelaat in rust of in functie (kauwen, afhappen of gapen).
• Functiebeperking van het kaakgewricht . Denk hierbij aan slotklachten, verminderde, of pijnlijke mondopening, gewrichtsgeluiden of verstoorde beweging bij openen of sluiten.
• Onverklaarbare pijn of schade aan dentitie en parodontium , zoals breuken of endodontologische problemen en (veelvuldige)
wortelkanaalbehandelingen
• Intra-orale tekenen zoals slijtage van het gebit, specifiek slijtfacetten aan de elementen. Hyperkeratose, wangimpressies of wangrillen, gebitselementen in de tong of lipimpressies (afbeelding 2).
• Inspectie en palpatie gelaat . Hypertonie kauwstelsel en nek zoals M. masseter temporalis, sternocleidmastiodeus en trapezius en Asymmetrie in het gelaat.
• Psychosomatische factoren zoals gezin- en werksituatie, stress, drukte, life-events en vermoeidheid.
TMD
Man (20) is naar mij (de orofaciaal fysiotherapeut) verwezen door de tandarts in verband met slijtage aan het gebit. Meneer geeft verder aan last te hebben van (spier) pijn in de wangen (NRS* 5) en soms in het oor (NRS 8). Hij is bekend met spanning in de nek en schouders (NRS 7) en heeft soms last van zijn oor; druk en pijnlijk (NRS 4). Of hij ‘s nachts klemt (SB) weet hij niet, maar herkent dit wel overdag bij concentratie achter de PC en autorijden of bij krachtzetten (AB). Verder komt in de anamnese naar voren dat hij studeert, een bijbaantje in een gespecialiseerde bierwinkel en een café heeft, veel sport (minimaal 5 keer per week fitness en hardlopen) en een leuk maar druk sociaal leven heeft.
Stressoren/situationeel
Hij slaapt regelmatig op zijn buik en komt door zijn drukke leven niet altijd aan voldoende slaap toe. Ook lukt het hem niet altijd tijd vrij te maken om te studeren. Daarbij twijfelt hij of aan de juiste studie is begonnen (piekeren).
Inspectie en onderzoek
Sportieve jongeman; anteropositie van schouders en hoofd. Intraoraal: slijtage frontaal en impressies in de tong. Onderzoek: hypertonie kauwstelsel. M. masseter, temporalis. Nekschouder: m. Trapezius. Verder valt op dat er veel spiermassa en spanning is bij de M. Pectoralis. Dit is naast gewoonte en een passieve houding een verklaring voor anteroposite van schouders.
Hulpvraag
Meneer wil de aanwezige nekpijn verminderen en verdere schade aan zijn gebit voorkomen.
Differentiaal diagnose
Myogene Temporomandibulaire Dysfunctie.
Behandeling
De behandeling bestaat uit inzicht in de klachten; relatie met drukte, slaap(tekort) en stress. Meneer krijgt lifestyle advies en advies om belasting versus belastbaarheid te verbeteren. Daarnaast gaat hij letten op een meer gunstige houding tijdens studeren en autorijden om zo bruxisme overdag te verminderen.
Resultaat
In vier behandelingen merkt meneer duidelijk minder spierspanningsklachten en pijn (verbetering van 75%). In overleg met de tandarts gaat meneer ‘s nachts een opbeetplaat dragen ter voorkoming van verdere schade aan het gebit. Mogelijk is hierdoor ‘s nachts een kleine toename van bruxisme - er zit namelijk iets in de mond
Ontdek de nieuwe manier om dentine restauraties efficiënt, gemakkelijk en met optimale remineralisatie uit te voeren.
Uniek bioactief bulk-fill materiaal op basis van synthetisch tricalciumsilicaat voor optimale sealing
Hoge druksterkte vergelijkbaar met dentine voor een solide restauratie
Anti-bacteriële eigenschappen dankzij hoge pH-waarde
Bulk-Fill Bio Procedure
1 All-in-one cartridges
2 Perfecte mix & vloeibaarheid
3 Directe toepassing
Ontdek de lanceringsactie
Vraag vrijblijvend een demo Scan de QR-code hiernaast
Septodont NV-SA - Grondwetlaan 87 - 1083 Brussel - België
www.septodont.nl - www.biodentinexp.nl
- maar de eventuele pijnklachten die dit geeft kan meneer zelf verminderen door de relaxatie- en rektechnieken en de massage. Hij gaat zelf aan de slag met de oefeningen om de klachten nog verder te verminderen. Indien nodig neemt hij zelf nogmaals contact op.
Tot slot
Klachten in het hoofd-halsgebied komen vaak naar voren in de tandartsstoel en kun-
Bruxisme
Repetitieve kauwspieractiviteit gekenmerkt door klemmen of knarsen van de tanden en het vastzetten (fixeren) en bewegen van de mandibula. Er is onderscheid tussen slaapbruxisme (SB) en Awake of waakbruxisme (AB). Waakbruxisme kun je als patiënt deels zelf beïnvloeden; Inzicht in de klachten maakt de patiënt van onbewust onbekwaam naar bewust bekwaam. Slaapbruxisme valt op te lossen door verbetering van slaaphygiene en slaaphouding. Bij ernstig slaapbruxisme is een opbeetplaat heel zinvol om het gebit te beschermen.
Range of Motion (ROM)
De mogelijke mondopening van de patiënt. Een ROM van 40 tot 45mm wordt beschouwd als normaal.
nen diverse oorzaken hebben. In dit artikel zijn verschillende manieren om deze orofaciale klachten te herkennen in de praktijk besproken. Waar nog niet altijd aan wordt gedacht is de samenwerking met een orofaciaal fysiotherapeut te zoeken. Die samenwerking biedt namelijk een beter resultaat voor de patiënt en daar zijn we allemaal bij gebaad.
Sneltest ROM
Een sneltest voor patiënt of tandheelkundig behandelaar doe je met 2 of 3 vingers overdwars in de mond. Hoeveel vingers ‘normaal’ is hangt af van de breedte van de vinger. Dit kan je zelf een keer nameten en dan kun je in de dagelijkse praktijk heel makkelijk en snel even testen bij een patiënt in de stoel (afbeelding 3 en 4).
Numeric Rating Scale (NRS)
De NRS-score (Numeric Rating Scale) en VAS-score (Visuele Analoge Schaal) zijn meetinstrumenten om uw pijnbeleving te scoren. De NRS is een schaal van 0–10, waarbij u een cijfer geeft voor uw pijn. De VAS is een pijnkaart met boze en blije gezichten naast de schaal van 0-10.
Saskia Vrickx is orofaciaal en mindful fysiotherapeut en eigenaar van praktijk ‘fysio de hoofdzaak’ in Woerden. Daarnaast werkt ze als gecertificeerd intervisiecoach en is gastdocent voor verschillende organisaties waaronder Dental Best Practice waar zij een cursus TMD-klachten en orofaciale fysiotherapie verzorgt.
Bent u geïnteresseerd in een reis naar de iconische westkust van Noord-Amerika, maar twijfelt u tussen Canada en de Verenigde Staten?
Beide opties onthullen spectaculaire bezienswaardigheden die u niet mag missen. Denk aan deunieke landschappen, de overvloed aan wilde dieren en de wonderen van de natuur.
De Canadese westkust herbergt diverse parken en spectaculaire natuur. Hier is van alles te ontdekken, van de Icefields Parkway tot de Rocky Mountains. Spot wilde dieren zoals grizzlyberen en walvissen. De Canadese westkust is de ideale bestemming voor wie wil ontsnappen naar de wildernis, wil genieten van wildlife en avontuurlijke paden wil bewandelen in ruige natuur.
Bij het westen van de VS denkt u wellicht aan woestijnlandschappen, dramatische bergen en surfstranden. Maar deze regio heeft nog veel meer te bieden. Zo is een bezoek aan de Amerikaanse westkust de beste manier om de Western cultuur, bekend uit Hollywood films, te ervaren. Hier kunt u beroemde plekken zoals Yellowstone National Park, de Big Sur en de Colorado Rivier bezoeken.
Wilt u een reis plannen naar één van deze twee bestemmingen, of beide? Onze reisspecialisten stellen uw reis helemaal naar uw wensen samen en regelen alles tot in de puntjes. Zo kunt u zorgeloos genieten van een droomreis naar de VS, Canada, of beide. Eerst inspiratie opdoen? Bezoek dan een van de gratis presentaties over reizen door de VS of Canada.
De reis naar mijn praktijk in Dordrecht duurt ongeveer 35 minuten. Ik vertrek zo rond 6:50 uur en ben dan ongeveer 7:30 uur geparkeerd en wel in de buurt van de praktijk. In de ochtend drink ik in de auto een theetje en luister ik naar de radio. Zodra ik de snelweg oprijd, pak ik een Easypick van Tepe uit mijn tas en maak tussen mijn tanden schoon. Dat is een gewoonte die ik al jaren heb en door een lang stuk rechte snelweg op de A29 ook mogelijk. Het voordeel van zo’n Easypick is ook nog eens dat ze meebuigen, dus bij “misprikken” hoef ik hem niet direct te vervangen. Op de terugweg herhaal ik deze gewoonte weer en ondertussen bel ik mijn vriend dat ik eraan kom en ik drink wat water. Ik luister naar de radio en gebruik nadat ik de Heinenoordtunnel door ben een Easypick. Ik vaar wel bij het consequent toepassen van deze gewoonte en de toestand van mijn gebit ook.
Tijdens het behandelen van patiënten is het vaak lastig om het interdentaal reinigen als een gewoonte aan te leren. Bij een intake vraag ik altijd of diegene al bekend is met het schoonmaken tussen zijn tanden en wat hiervoor gebruikt wordt. Het meest gegeven antwoord is dan: “Alleen als er iets tussen mijn tanden zit”. Ik moet mij dan bedwingen niet direct te reageren met het feit dat er altijd iets tussen
de tanden zit. Ook als we het niet gelijk zien. Maar goed, ze komen niet voor niets bij ons mondhygiënisten in de stoel.
Laatst had ik een hele fanatieke man in de stoel. Zijn gebit had wat achterstallig onderhoud en hij was onder lichte druk van zijn echtgenoot toch naar mij toegegaan. Omdat zijn vrouw mij al voorbereid had op de koppigheid van haar man, was ik iets meer op mijn hoede en waren mijn woorden vriendelijk doch ietwat dwingend. Aangezien er heel wat moest gebeuren bij deze man, heb ik hem gezegd dat ik mijn uiterste best zou doen, maar dat ik van hem toch ook wel 100% inzet verwachtte. Anders zou het resultaat van de parodontale therapie niet voldoende zijn en zouden er misschien toch wel elementen uit moeten. Dit wilde deze beste man absoluut niet. De afspraken voor de parodontale therapie naderden en nadat deze man een aantal uurtjes in de stoel had gelegen, kwam ik erachter dat hij alle instructies enorm trouw opvolgde. Er was een nieuwe elektrische borstel gekocht, de ragers waren besteld en werden dagelijks gebruikt, het gaasverband werd trouw gebruikt op alle plekken waar het nodig was en de compact tuft borstel was ook niet meer weg te denken uit zijn mondhygiëne ritueel. Ik durfde hem met een gerust hart (na wat aanmoedigingen) zes weken los te laten.
Zes weken later kwam hij terug voor de mondhygiënecontrole. Weer zag alles er goed uit. We namen de maten ragers door en ik haalde aan het einde van mijn behandeling nog wat supragingivaal tandsteen bij het onderfront weg. Na het polijsten vertelde deze man over zijn nieuwe gewoonte. Zijn ontbijt bestaat uit van dat lekkere donkere brood met van die zaden en pitjes. Hij kon er niet meer tegen wanneer hij het gevoel kreeg dat er iets tussen zijn tanden zou zitten en dus nam hij een half uur na zijn ontbijt een kop thee en pakte hij zijn ragers erbij. Tijdens het lezen van de krant nam hij een slok thee en raagde interdentaal alle zaadjes en pitjes weg. Om de ragers tussendoor schoon te maken, doopte hij zijn ragers schoon in zijn thee…. En hierna dronk hij dit op. Tja, dat zat eerst tussen zijn tanden, dus vies vond hij het niet.
Ik weet het niet hoor. Ligt het nu aan mij dat ik hier dus misselijk van word, of gaat deze nieuwe gewoonte toch wat ver…
Binnen enkele weken van elkaar, meldden zich twee patiënten met ongeveer hetzelfde verhaal bij Paro Praktijk Utrecht: “Ik kan al een week niet eten of drinken, ik zie overal blaasjes, het poetsen van mijn tanden gaat niet, ik ben futloos en heb nergens zin in”. We beschrijven twee casussen van Herpetiforme Gingivostomatitis; De één een 12-jarige puber, de ander een jongedame van 17 jaar oud. Wat zien we? Wat is het? En hoe gaan we hiermee om?
Casus 1
Een 17-jarige jongedame, neemt contact op met de praktijk met als klacht: Pijn en ‘witte vlekken’ op het tandvlees. In het consult komt de volgende informatie boven: Ze zit momenteel midden in haar eindexamenperiode en heeft een zelfgemeten verhoging tot 38.5 graden Celsius. De klachten zijn enkele dagen voor het consult begonnen.
We zien een heftig ontstoken gingiva met talrijke blaasjes; deze gaan gemakkelijk stuk en resulteren in pijnlijke, aftachtige ulceraties. Herpesachtige ulceraties komen voor op het palatum, gingiva en de wang (afbeelding 1.1-1.5).
Casus 2
Een 12-jarig meisje komt samen met haar moeder naar de praktijk met een ‘kapotte lip’ en lusteloosheid. Door de pijn kan er nauwelijks gegeten of gedronken worden.
Ze hebben enkele dagen geleden haar huisarts bezocht, waar ze een antibioticum heeft gekregen. Ze zijn zeer ongerust en op
aanraden van een familielid belden ze ons. We zien een vergelijkbaar beeld met casus 1. Daarnaast oogt het meisje slap en futloos. Er zitten grote laesies op de lippen, het palatum en gingiva. Ze is al enkele jaren niet bij een tandarts geweest en de mondhygiëne is verre van optimaal (afbeelding 2.1-2.6).
Herpesinfecties behoren tot de meest voorkomende virale infecties. De familie van het humaan herpesvirus (HHV) omvat een groep van verschillende soorten dubbelstrengs DNA-virussen. Binnen deze familie zijn de herpes simplex-virussen (HSV) type 1 en type 2 het meest bekend, waarvan Herpes labialis over het algemeen wordt geclassificeerd als HSV-type 1 (officieel HHV-1 infectie) en Herpes genitalis als een HSV-type 1 of type 2 (HHV-1 of HHV-2 infectie). Mede door toename in orale seksuele handelingen maakt het frequenter contact tussen de voorkeurslocaties van deze virussen het on-
Front aanzicht
Lateraal aanzicht rechts
Lateraal aanzicht rechts
Occlusaal aanzicht bovenkaak
Wang links
Detail opname van de lippen bij intake
Front aanzicht bij intake
Lateraal aanzicht rechts bij intake
Lateraal aanzicht links bij intake
Detail opname palatum bij intake
Detail opname tuber links bij intake
Anesthesia & Intensive Care Services B.V.:
AIC is gespecialiseerd in het verzorgen van hoogwaardige medische zorg binnen de anesthesiologie en intensive care geneeskunde.
Met ons VOLWAARDIG MOBIEL ANESTHESIETEAM inclusief apparatuur, monitoring, medicatie, gasvoorziening, disposables en al het nodige personeel kunnen wij op een voor u wenselijke locatie op 4 behandelkamers tegelijk algehele anesthesie toedienen aan uw cliënten, zonder dat u ook maar iets hoeft aan te passen aan de inrichting van uw kliniek.
Tandheelkundige klinieken die behandelingen onder algehele anesthesie willen aanbieden:
Als u aan uw cliënten behandelingen onder algehele anesthesie wilt aanbieden zonder dat u dure investeringen hoeft te doen in uw kliniek, dan bent u bij ons aan het juiste adres. Wij kunnen met ons MOBIEL ANESTHESIETEAM in elke kliniek op 4 behandelkamers tegelijk volledig de anesthesie verzorgen zonder dat u daar naar hoeft om te kijken. Wij zijn volledig selfsupporting. Wij kunnen in elke tandartspraktijk de anesthesie verzorgen. Uw praktijk hoeft dus niet aan speciale voorwaarden te voldoen!!
Bel voor een gratis en vrijblijvende offerte:
Schroom niet om te bellen of te emailen voor een gratis en vrijblijvende offerte. Zonder enige verplichting komen wij graag bij u langs om de situatie in uw kliniek te beoordelen en de wensen en mogelijkheden met elkaar te bespreken.
derscheid minder duidelijk en zien we enige overlap in deze typen infecties. Andere bekende leden van de HHV-familie zijn het Varicella-Zostervirus (VZV, HHV3), het Epstein-Barr-virus (EBV, officieel HHV-4), de zesde ziekte (HHV-6) en het Kaposisarcoom (HHV-8).
De term herpes is afgeleid van het oude Griekse woord dat ‘kruipen’ betekent, wat verwijst naar een neiging tot verspreiding, latentie en de recidive aard. In het algemeen kunnen HSV-infecties worden onderverdeeld in eerste episode-infecties (te onderscheiden in primaire en niet-primaire infecties) en recidieven van eerder doorgemaakte infecties. Wanneer een patient voor het eerst in aanraking komt met een herpesvirus wordt er gesproken over een primaire infectie. Tijdens de primaire infectie worden cellulaire en humorale afweer opgebouwd en kunnen antistoffen worden teruggevonden. In het geval dat deze patiënt vervolgens in contact komt met een ander type herpesvirus wordt er gesproken van een eerste episode-infectie (niet-primair), omdat er reeds antistoffen zijn opgebouwd tegen de eerder doorgemaakte herpesinfectie. Bij recidieven vindt opnieuw activatie plaats van het latente reeds genestelde virus. Als laatste wordt er nog wel eens gesproken over ‘re-infecties’, wanneer de gastheer opnieuw in contact komt met hetzelfde type virus. Dit is dus anders dan reactivatie van een eerder doorgemaakte eerste episode-infectie. Specifieke antistoffen kunnen zorgen voor bescherming tegen een re-infectie. Echter, deze zullen niet voldoende zijn om reactivatie van het virus te voorkomen.
Infectieverspreiding
Herpesvirussen dringen over het algemeen binnen via de slijmvliezen, als de orofarynx, genitaliën of conjunctiva. Van hieruit verspreiden deze zich langs de perifere zenuwen naar de sensibele of autonome ganglia waar het virus verblijft voor de rest van het leven. Bij een HSV-1-infectie betreft dit meestal een infectie van het ganglion van de nervus trigeminus. Bij een genitale HSV-2-infectie verblijft het herpesvirus zich in de sacrale ganglia. Doordat het virus zich verspreidt via de zenuwcellen is deze slecht toegankelijk voor het immuunsysteem en blijkt dat reactivatie van het virus niet te voorkomen is. De periodieke frequentie en de ernst van recidieven wisselt en is sterk afhankelijk van het virustype en de lokalisatie.
Na een incubatietijd van gemiddeld rond de vier dagen kan een primaire herpes infectie een asymptomatisch verloop hebben, zeker in de vroege kinderjaren. Het RIVM rapporteert een symptomatisch beloop voor 37% van de primaire HSV-2-infecties en rond de 67% voor HSV-1.
Een symptomatisch beloop bestaat uit een prodromale fase met klinische symptomen als koorts, malaise en spierpijn (RIVM-richtlijn). Prodromale symptomen zijn verschijnselen die optreden voordat de kenmerkende ziektespecifieke symptomen optreden. Afhankelijk van de ernst en de locatie kunnen er klachten volgen als regionale lymfadenopathie met pijn, jeuk, dysurie of vaginale afscheiding en urineretentie. Vervolgens worden na één week de eerste klinische symptomen zichtbaar op de huid- en slijmvliezen met de ontwikkeling karakteristieke laesies met helder vocht. Atypische laesies komen ook voor als ulcererende herpetiforme laesies en plaatselijk erytheem. Over het algemeen genezen deze laesies zonder littekens binnen 7-28 dagen.
In geval van ernstige gingivostomatitis is de gingiva (zeer) pijnlijk en gaat deze gepaard met roodheid, ulcera (met/zonder serofibreus exsudaat), oedeem en stomatitis. Typerend is de vorming van blaasjes, welke openbarsten, samenvloeien en die vervolgens met fibrine-bedekte zweren kunnen achterlaten. Ook hier treedt genezing op zonder littekens binnen drie weken. Echter kunnen als complicatie gedurende deze periode eten en slikken als pijnlijk worden ervaren. Herpes labialis, de bekende ‘koorstlip’, blijft meestal beperkt tot de lippen zonder de mucocutane overgang te passeren. In het geval van reactivatie komt deze meestal voor op dezelfde locatie van de liprand en/of de aangrenzende huid. Deze locaties staan erom bekend dat daar zenuwuiteinden samenkomen. Hoewel deze recidieven aan de liprand goed herkenbaar zijn, worden deze veelal beschouwd als aften of als een gevolg van ‘doorkomende tandjes’, daarnaast blijven terugkerende intra-orale herpeslaesies ongediagnosticeerd. Systemische symptomen komen bij een recidief van herpes labialis over het algemeen niet voor, tenzij er sprake is van een gestoorde afweer. Ook kunnen complicaties optreden ten gevolge van een primaire herpesinfectie. Voorbeelden hiervan zijn aseptische meningitis (nekstijfheid en hoofdpijn) en
lokale symptomen van autonome dysfunctie (hypesthesie of anesthesie in de lumbale of sacrale regio, urineretentie en obstipatie).
Het is momenteel onbekend in hoeverre herpesvirussen kunnen bijdragen aan het ontstaan van óf de progressie bij andere parodontale aandoeningen en mondziekten. Wel kan HSV worden geïsoleerd uit de parodontale pockets, gingiva, mucosale biopten en de creviculaire vloeistof in geval van gingivitis, acute necrotiserende gingivitis en parodontitis.
Diagnostiek
De diagnose kan worden gesteld op basis van de voorgeschiedenis van de patiënt en de klinische bevindingen. Patiënten herkennen vaak zelf of zij een koortslip hebben (gehad), vanwege het vrij karakteristieke beeld ervan. Bij twijfel over het klinisch beeld kan overgegaan worden op microbiologisch onderzoek of eventueel bloedonderzoek. HSV kan middels PCR/ NAAT en immuunfluorescentie worden geidentificeerd uit laesies. Dit kan door middel van uitstrijken van de blaasjesbodem, maar ook serum en plasma kunnen als materiaal gebruikt worden voor deze testen. Over het algemeen screenen de meeste testen op HSV-type 1 en 2.
In geval van een systemische uitbraak of een gegeneraliseerde herpesinfectie is bloedonderzoek wenselijk en kan ‘viral load’ bepaling of serologisch onderzoek naar specifieke antilichamen worden uitgevoerd. Dit is vooral van belang bij immunodeficiënte patiënten, zoals mensen met een humaan immunodeficiëntievirus (HIV)-infectie, zwangere vrouwen met verdenking van herpes genitalis, prematuren en patiënten met recidiverende laesies. Zij lopen een verhoogd risico op het verwerven van de herpesinfecties en ook kan een recidief beloop ernstiger en vaker voorkomen. Dit geldt zowel voor peri- en intra oraal als voor elders in het lichaam met zelfs levensbedreigende situaties tot gevolg.
De behandeling van herpetiforme gingivostomatitis omvat vooral symptoombestrijding: pijnstilling, hydratatie en (zoveel als mogelijk) zorgvuldige verwijdering van tandplaque. Laatstgenoemde is belangrijk om bacteriële superinfectie van de ulcera te beperken, omdat dit de genezing vertraagt. Zowel tandenpoetsen als interdentale reiniging is vaak te pijnlijk en
soms onmogelijk. Daarom kan overwogen worden om een chloorhexidine houdende mondspoeling te overwegen voor een periode van twee weken (i.e. Corsodyl 0.2% of PerioAid 0,12%). Pijnstillers als paracetamol of ibuprofen zijn de eerste keuze, mogelijk ondersteund met een lidocaïne gel (Dynexan 20mg/g Gel), om de pijn te verzachten en zowel het reiniging als eten/ drinken te vergemakkelijken. In ernstige gevallen, inclusief patiënten met immunodeficiëntie, wordt het systemisch gebruik van antivirale geneesmiddelen zoals aciclovir, valaciclovir of famciclovir overwogen. De Stichting Werkgroep Antibiotica Beleid (SWAB) adviseert dat een ernstige stomatitis behandeld kan worden met valaciclovir 500 mg 2 d.d. gedurende 5-7 dagen, gecombineerd met symptomatische pijnbestrijding. Afhankelijk van de ernst kan bij een mildere uiting ook gekozen worden voor aciclovircrème behandeling. Het gebruik van deze middelen kan worden overwogen binnen de eerste 72 uur na het begin van symptomen, en alleen als er duidelijke symptomen van gingivostomatitis aanwezig zijn, maar vooral als de patiënt ernstige pijn of tekenen van uitdroging vertoont. Bij twijfel is een consultatie met de huisarts of een directe verwijzing gepast. Overigens is het nut van antivirale middelen twijfelachtig bij gezonde patiënten en is er zwak bewijs voor het behandelen van kinderen met deze middelen. Wanneer antivirale middelen overwogen worden, kan bij immuuncompetente volwassen patiënten, de dosering evenals de duur van de antivirale therapie worden verlaagd (RIVM/SWAB). In geval van recidief is er consensus en beschrijft deze richtlijn: indrogende therapie (1) zinkoxide vaselinecrème 10% FNA of zinksulfaat vaselinecrème 0,5% FNA, gecombineerd met (systemische) pijnstilling (2) en binnen 48 uur met antivirale middelen (3) (Patel et al. 2017). In geval van zeer frequente recidiefinfecties (>6 per jaar) kan een patiënt in aanmerking komen voor een onderhoudstherapie met antivirale middelen. Dit kan leiden tot reductie van het aantal recidieven (met 70-80% bij HSV-type 2) en een verkorte duur van de laesies. In beide casussen was er sprake van immunocompetente patiënten, waarbij de verdenking bestond van een eerste episode infectie. We kozen voor 3x daags 500mg Paracetamol, de lidocaïne gel en een expectatief beleid met ‘tender loving care’ en geruststelling. Er was restloze genezing
binnen twee weken. (afbeeldingen 2.72.12). Bij recidief of terugkerende klinische manifestaties, biedt de RIVM – richtlijn houvast en kan de patient eventueel doorverwezen worden naar de huisarts voor verdere diagnostiek.
Literatuur:
• Europese Rekenkamer. (2019). Antimicrobial Resistance in the EU: the challenges ahead. Geraadpleegd van: https://www.eca.europa.eu/Lists/ECADocuments/ SR19_21/SR_Antimicrobial_resistance_NL.pdf
• Holmstrup, P., & Jontell, M. (2023). Non-Plaque-Induced Gingival Diseases. In T. Berglundh, W. V. Giannobile, N. P. Lang, & M. Sanz (Eds.), Lindhe’s Clinical Periodontology and Implant Dentistry, Seventh Edition (331-367): John Wiley & Sons Ltd.
Koninklijke Nederlandsche Maatschappij tot bevordering der Geneeskunst. (2023). De antibioticaresistentie crisis vereist meer actie [Persbericht]. Geraadpleegd van https://www.knmg.nl/actualiteit-opinie/nieuws/nieuwsbericht/de-antibioticaresistentie-crisis-vereist-meer-actie-1
Neville, B. W., Damm, D. D., Allen, C. M., & Chi, A. C. (2015). Viral infections. In Oral and Maxillofacial Patho-
logy (4th ed., pp. 218-226). Elsevier. ISBN: 978-1-45577052-6.
• Patel, R., Kennedy, O.J., Clarke, E., Geretti, A., Nilsen, A., Lautenschlager, S., Green, J., Donders, G., van der Meijden, W., Gomberg, M., Moi, H., Foley, E. (2017) European guidelines for the management of genital herpes. International Journal of Sexsual Transmitted Diseases and AIDS. Dec;28(14):1366-1379. Rijksinstituut voor Volksgezondheid en Milieu (RIVM). Herpes simplex virusinfecties. Geraadpleegd op [20-072023] van https://lci.rivm.nl/richtlijnen/herpessimplexvirusinfecties
• Waal, van der I. Mond- en kaakziekten, een atlas voor de dagelijkse praktijk. Bohn Stafleu van Loghum Houten; 2015
World health organization (WHO). Herpes simplex virus. Geraadpleegd op (20-07-2023) van https://www.who.int/ news-room/fact-sheets/detail/herpes-simplex-virus
Drs. Tim Thomassen. Tandarts-Parodontoloog NVvP werkzaam bij Paro Praktijk Utrecht; docent en promovendus bij ACTA Amsterdam sectie Parodontologie. Dr. Patrick Rijkschroeff.
Tandarts-Parodontoloog NVvP werkzaam bij Paro Praktijk Utrecht, het Centrum Parodontologie en Implantologie Amersfoort, Clinical Assistant Professor Hong Kong University.
Dankwoord: We danken onze collega Kostas Kosmidis, tandarts-parodontoloog NVvP, voor het aanleveren van de foto’s bij casus 1.
De behandeling van volwassen tanden met diepe cariës blijft controversieel. Tot niet zo lang geleden was de aanbevolen behandeling van volwassen tanden met diepe cariëslaesies, die tot pulpa-exposure leidden, een wortelkanaalbehandeling. De reden hiervoor was dat uit meerdere onderzoeken bleek dat de prognose van vitale pulpatherapie bij volwassen tanden met cariës slecht was. Sinds de introductie van hydraulisch calciumsilicaatcement zoals Biodentine™ en het gebruik van microscopie, zijn er recent echter veelbelovende resultaten geboekt met succesvolle vitale pulpatherapie bij volwassen tanden.
Inleiding
De beste beschikbare gegevens tonen aan dat de behandeling van volwassen tanden met diepe carieuze laesies bestaat uit het indirect afdekken van de pulpa, waarbij blootstelling van de pulpa wordt vermeden. 1 In gevallen van pulpablootstelling in tanden met diepe carieuze laesies in volwassen tanden wordt een wortelkanaalbehandeling aanbevolen, omdat vitale pulpatherapie in deze gevallen slechte resultaten laat zien. 2 Echter, met de introductie van hydraulisch-calciumsilicaat cement zoals Biodentine™ en microscopie, hebben sommige onderzoekers deze veronderstellingen in twijfel getrokken. 3, 4, 5 De reden hiervoor is dat we met indirecte pulpa-afdekking het risico lopen dat er bacteriën in de pulpakamer achterblijven, en we de kans missen om de situatie van het pulpaweefsel te observeren [werkelijke diepte van de carieuze laesies, type en duur van bloeding (indien aanwezig), aanwezigheid van exsudaat, etc.]. Door het carieuze weefsel volledig te verwijderen en de pulpa bloot te leggen, hebben we de mogelijkheid om al het carieuze weefsel te verwijderen en het weefsel te observeren en de werkelijke situatie in de pulpakamer te evalueren. 3, 6 Deze aanpak kan ons helpen de nauwkeurigheid van onze diagnose te vergroten en geeft ons de mogelijkheid een betere beslissing te nemen (vitale therapie of wortelkanaalbehandeling). Bovendien kan het ook de communicatie met onze patiënten verbeteren, omdat we de situatie van het pulpaweefsel kunnen laten zien en uitleggen op basis van wat we zien in plaats van alleen op basis van de symptomen van de patiënt. 7, 8 Het behoeft geen betoog dat deze behandeloptie alleen kan worden toegepast met gebruikmaking van rubberdam, gesteriliseerde instrumenten, vergroting en biocompatibele materialen zoals Biodentine™, dat goede resultaten heeft laten zien in in-vitro en in-vivo onderzoek. 5, 9, 10
Casusverslag
Een gezonde 35-jarige vrouw presenteerde zich met pijn bij het kauwen en gevoeligheid voor koude dranken op tand 4.4. Radiografisch en klinisch onderzoek toonde een diepe secundaire cariës onder een oude composietvulling (afbeelding 1 a-c). Klinisch onderzoek toonde een positieve reactie op koude testen en een negatief resultaat op percussie en palpatie. Er werden geen pathologische pockets gedetecteerd met de parodontale sonde. De diagnose was reversibele pulpitis met normale periapicale weefsels.
Bovendien toonde periapicale radiografie geen periapicale radiolucentie en bitewing röntgenfoto bevestigde de aanwezigheid van een diepe carieuze laesie tot aan het binnenste kwart van de dentine. Met deze informatie besloten we een minimaal-invasieve cariës verwijderingstechniek uit te voeren, maar ons bewust van het risico dat de carieuze laesie de pulpa al bereikt had en daarom (partiële) pulpotomie nodig zou kunnen zijn.
Afbeelding 1 a-c. Bitewing toont cariës diepte (a) en periapicale radiografie toont afwezigheid van periapicale radiolucentie (b). Klinisch aspect van de carieuze laesies na het verwijderen van de oude composiet vulling (c).
Na centripetale verwijdering van het carieuze weefsel, was er nog zacht weefsel aanwezig op de bodem van de holte nabij het pulpaweefsel (afbeelding 2 a-d). Zachte verwijdering van het carieuze weefsel met een scherp handinstrument leidde tot verdere weefselverwijdering met roze vlek en nog steeds zacht weefsel aanwezig (afbeelding 2b). In dit stadium werd besloten dat het risico dat bacteriën de pulpakamer al waren binnengedrongen te groot was. Indirecte pulpa-overkapping leek in dit stadium geen goede keuze. Daarom besloten we het pulpaweefsel bloot te leggen met steriele instrumenten onder vergroting (afbeelding 2c). Het blootleggen van de pulpa leidde tot overvloedige bloedingen (afbeelding 2c). Verdere pulpaverwijdering met een diamantboor op hoge snelheid onder waterkoeling leidde tot beheersing van de bloeding en blootlegging van een gezond uitziend weefsel (afbeelding 2d).
Op dit moment is het pulpaweefsel klaar om afgedekt te worden met een tricalcium silicaat cement (Biodentine™) dat een geschikte omgeving zal creëren voor pulpareparatie (afbeelding 3 a-b).
In dit specifieke geval kozen we ervoor om de behandeling in één afspraak af te ronden en de definitieve restauratie in dit stadium te plaatsen. In dit geval hebben we adhesief en harscomposiet bovenop de Biodentine™ geplaatst. Een andere optie zou zijn om glasionomeer materiaal te gebruiken vóór de definitieve composietrestauratie, hoewel we niet genoeg bewijs hebben om de ene boven de andere therapie te kiezen. In dit geval hebben we
Afbeelding 2 a-d. Centripetale cariës verwijderingstechniek (a) en roze vlek na verwijdering van het aangetaste weefsel op de bodem van de holte met een scherp handinstrument (b). Let op de aanwezigheid van zacht, los weefsel nabij de pulpa (b). Overmatige bloeding na initiële pulpablootstelling (c). Verdere verwijdering van pulpaweefsel tot aan de ingang van het kanaal leidde tot het onder controle houden van de bloeding (d).
gekozen voor een restauratie met harscomposiet, omdat de randen tussen dentine en glazuur duidelijk schoon waren en het gebruik van een tussenmateriaal de afdichting van de klasse II caviteit in gevaar kan brengen.
Hoewel het beschikbare wetenschappelijke bewijs beperkt is, lijkt vitale pulpatherapie een veelbelovende therapeutische keuze te zijn voor de behandeling van volwassen tanden die aangetast zijn door diepe carieuze laesies (binnenste kwart van dentine beoordeeld op een bitewing röntgenfoto). Deze techniek lijkt echter alleen succesvol te zijn indien gebruik wordt gemaakt van een rubberdam, vergroting en geschikte materialen zoals zuiver calciumhydroxidepoeder of calciumsilicaatcement zoals Biodentine™ met hoge bioactiviteit.
Afbeelding 3 a-b. Plaatsen van Biodentine™ bovenop het blootliggende pulpaweefsel (a). Dentine-glazuur marges na het schoonmaken van de caviteit (b). Kijk naar de beperkte werkruimte om een intermediaire glasionomeer restauratie te plaatsen vóór het uiteindelijke composiet vulmateriaal. Dit is de belangrijkste reden waarom we gekozen hebben voor een definitieve hars-composietrestauratie bovenop Biodentine™.
Referenties
1. Schwendicke F, Walsh T, Lamont T, Al-yaseen W, Bjørndal L, Clarkson JE, et al. Interventions for treatingcavitated or dentine carious lesions. Cochrane Database of Systematic Reviews. 2021(7).
2. Bjorndal L, Fransson H, Bruun G, Markvart M, Kjaeldgaard M, Nasman P, et al. Randomized Clinical Trials onDeep Carious Lesions: 5-Year Follow-up. J Dent Res. 2017;96(7):74753.
3. Ricucci D, Siqueira JF, Jr., Li Y, Tay FR. Vital pulp therapy: histopathology and histobacteriology-based guidelinesto treat teeth with deep caries and pulp exposure. J Dent. 2019;86:41-52.
4. Taha NA, Abdulkhader SZ. Full Pulpotomy with Biodentine in Symptomatic Young Permanent Teeth withCarious Exposure. J Endod. 2018;44(6):9327.
5. Beauquis J, Setbon HM, Dassargues C, Carsin P, Aryanpour S, Van Nieuwenhuysen J-P, Leprince JG. Short-TermPain Evolution and Treatment Success of Pulpotomy as Irreversible Pulpitis Permanent Treatment: A Non-Randomized Clinical Study. Journal of Clinical Medicine. 2022; 11(3):787
6. Dammaschke T, Nowicka A, Lipski M, Ricucci D. Histological evaluation of hard tissue formation after directpulp capping with a fast-setting mineral trioxide aggregate (RetroMTA) in humans. Clin Oral Investig.2019;23(12):4289-99.
7. Ricucci D, Loghin S, Niu LN, Tay FR. Changes in the radicular pulp-dentine complex in healthy intact teeth andin response to deep caries or restorations: A histological and histobacteriological study. J Dent. 2018;73:76-90.
8. Ricucci D, Loghin S, Siqueira JF, Jr. Correlation between clinical and histologic pulp diagnoses. J Endod.2014;40(12):1932-
Afbeelding 4 a-b. Onmiddellijke postoperatieve bitewing radiografie (a) en periapicale radiografie bij de 1 jaar controle. Ook al is 1 jaar een korte periode, let op het ontbreken van periapicale radiolucentie. De patiënt is asymptomatisch en de tand is volledig functioneel.
9. Duncan HF, Galler KM, Tomson PL, Simon S, El-Karim I, Kundzina R, et al. European Society of Endodontology position statement: Management of deep caries and the exposed pulp. Int Endod J. 2019;52(7):923-34.
10. AAE Position Statement on Vital Pulp Therapy. 2021.
Chair of Endodontology
Department of Oral Health Sciences
Biomaterials - BIOMAT
KU Leuven
Chair of the Young CED-IADR
(Continental European Division of the International Association for Dental Research)
Over het algemeen kijken de meeste mensen niet uit naar een bezoek aan de tandarts. Sommigen zijn angstig voor de mogelijke pijn of ongemak, anderen vinden het onwetende geen prettig vooruitzicht. Deze angst of onwetendheid maakt dat we ons op een bepaalde manier gaan voelen en gedragen, we vertonen een onbewuste gedragsverandering. Een manier om dit gevoel te sturen is afleiding bieden.
Tijdens het wachten in een ruimte waar je je ongemakkelijk voelt, kruipt de tijd voorbij. Afleiding is dan een goed middel om die tijd sneller te laten gaan. Dit kun je natuurlijk oplossen door middel van tijdschriften, beeldschermen of muziek. Maar afleiden, stimuleren van verwondering en bieden van comfort werken vaak nog beter. Als we een paar stappen terug doen in wat een ruimte met een persoon doet, kunnen we het beste naar de kern kijken en begrijpen hoe ruimtes ons gedrag beïnvloeden.
Onbewuste gedragsverandering verwijst naar het gedrag dat we onbewust vertonen als reactie op de omgeving waarin we ons bevinden. Een paar voorbeelden. In een bibliotheek worden we aangemoedigd om ons rustig en gefocust op te stellen, zodat we anderen niet storen tijdens het lezen of studeren. In een kerk worden we gestimuleerd om ons respectvol en ingetogen te gedragen, uit eerbied voor de spirituele omgeving.
Hoewel ons gedrag kan worden beïnvloed door regels en normen die geassocieerd worden met een bepaalde ruimte (bijvoorbeeld stil zijn in een bibliotheek of respect-
vol in een spirituele ruimte), kan ook het ontwerp van de ruimte invloed hebben op hoe we ons voelen en hoe we daarop reageren. We kunnen dus zeggen dat in het algemeen, zowel bewuste als onbewuste elementen van een ruimte een bepaalde beleving creëren die ons beïnvloeden op zowel emotioneel als gedragsmatig niveau. Het begrijpen van deze invloeden kan helpen bij het optimaliseren van ruimtes, bijvoorbeeld door het toepassen van een conceptueel verhaal. Een speciaal bedacht ontwerp voor deze omgeving dat zich uit in kleurcombinaties, beelden, passend bij dit ontwerp, meubilair, etc. Dit alles moet op elkaar afgestemd zijn, zodat dit een positieve ervaring biedt aan de gebruikers. Dit kan ons op een positieve manier afleiden tijdens de gehele klantreis, waardoor onze beleving wordt beïnvloed. Bewust of onbewust zal het ons verwondering en rust bieden, waardoor het wachten een andere invulling krijgt.
De interieurarchitect is verantwoordelijk voor en gespecialiseerd in het creëren van belevingswaarden en het sturen van het gedrag van gebruikers door middel van een goed passend ontwerp en een doordacht
achterliggend verhaal. Bij een tandartsenpraktijk is het doel om de patiënten gerust te stellen, te verwonderen en af te leiden van eventuele angstige gevoelens. Tegelijkertijd kan een slimme indeling en inrichting van de wachtruimte patiënten afleiden en zich meer op hun gemak laten voelen
kozen worden. Het kan bijvoorbeeld een passie of interesse zijn van de praktijkeigenaar, beelden van een bestemming ver weg of juist dichtbij (de plaats waar de praktijk is gevestigd).
Bij het goed verwerken van het concept, op een subtiele manier, wordt dit onderwerp
terwijl ze wachten. Bijvoorbeeld door het kiezen van een onderwerp dat wordt doorgevoerd in de hele praktijk door middel van afbeeldingen, kleuren en vorm waarbij niet alleen een verhaal, maar ook een beleving wordt gecreëerd.
Dit onderwerp zal samen met de praktijk-eigenaar of de praktijkmanager ge-
niet letterlijk aan de omgeving getoond, maar is het opgenomen in het interieurontwerp, dus in samenhang met het ontwerp van de ruimte, de indeling, het lichtplan, enzovoort. Het resultaat is een onbewuste ervaring van een prettige sfeer. Een prachtig voorbeeld zijn sterk ingezoomde delen van een plattegrond van
“Het doel is om patiënten gerust te stellen, te verwonderen en af te leiden van eventuele angstige gevoelens”
Wilt u ook dat de IT in uw praktijk vlekkeloos werkt?
Maak kennis met MedITall!
MedITall is als IT specialist in de mondzorg bekend met alle pakketten. U kunt bij ons terecht voor al uw IT; werkplekbeheer, VoIP telefonie, Internet, Microsoft 365 diensten en nog veel meer. Al uw data veilig in beheer; of u nu lokaal werkt of in de cloud.
Meer dan 100 tevreden praktijken gingen u voor! Bent u de volgende? Kijk op www.meditall.nl of neem contact met ons op voor een vrijblijvende kennismaking via info@meditall.nl of 072-5816214.
een stad of bijvoorbeeld zandvlaktes. Dit is dan meteen een link naar het werk van de professionals die daar behandelen, ook ingezoomd en gefocust op de patiënten. Op deze manier wordt eventuele angst ongemak of ander negatief gevoel tijdelijk uitgeschakeld en omgezet naar een positief moment van focus op iets dat de verbeelding prikkelt.
Dit hele concept kan worden toegepast van entree tot behandelruimte. Juist het doorvoeren van het concept door de gehele praktijk is enorm belangrijk. Op die manier is het namelijk mogelijk om de beleving van de patiënt door de gehele ruimte van begin tot eind te sturen. Naast deze voorbeelden van subtiel interieurontwerp is het belangrijk de ruimte helder vorm te geven. Denk hierbij aan het gebruik van visuele signalen als bewegwijzering (pijlen of borden) die aan patiënten duidelijk maken hoe de praktijkruimte in elkaar zit, zodat ze zich niet verloren voelen of onzeker zijn over waar ze naartoe moeten. Zo moet er goed worden aangegeven waar de praktijkruimtes, toiletten, de receptie en de uitgang zich bevinden, dus helderheid en transparantie. Als hier geen twijfels over bestaan, voelt de patiënt zich meer op zijn of haar gemak. Het concept van het interieurontwerp heeft ook invloed op praktijkmanagers, werknemers en de praktijkeigenaar. Het creëert een positieve sfeer en comfortabele omgeving die de interactie tussen alle gebruikers bevordert. En tevreden werknemers zullen dit positieve gevoel en de rust en plezier in hun werk ook overdragen aan de mogelijk gespannen patiënt.
Een tandartspraktijk die aandacht besteedt aan beleving kan tal van voordelen opleveren voor zowel patiënten als tandheelkundige professionals namelijk:
• Een positieve beleving bij patiënten;
• Een betere werkomgeving voor het personeel;
• Een duidelijk ontwerp dat geen zorg meer nodig heeft. Het niet meer na te hoeven denken over de ‘look & feel’ van de praktijk geeft dan ook vooral rust voor de praktijkeigenaar.
Een gastvrije, comfortabele omgeving zal het gevoel van vertrouwen tussen patiënten en tandheelkundige professionals vergroten. In zo’n omgeving zullen patiënten eerder openstaan voor behandelingssuggesties en zich meer op hun gemak voelen om vragen te stellen over hun mondgezondheid.
Een bijkomstigheid is dat een aantrekkelijke tandartspraktijk ook nieuwe patiënten kan aantrekken. Mond-tot-mondreclame speelt een essentiële rol in de groei van een tandartspraktijk en patiënten zullen eerder hun positieve ervaringen delen met anderen. Uiteindelijk kan dit leiden tot uitbreiding van de klantenkring!
Annemarie Dijkhof is Interieurarchitect en founder van onder andere Qwantoor, een bureau dat inspirerende omgevingen creëert waarin prettig gewerkt en geleefd kan worden. Haar meest recente projecten zijn; Diak Clinic Zeist, DC advisory, Peakz Padel, Platform C Amstelveen
www.qwantoor.com
www.designanders.nl
Om deze optimaal te laten functioneren en vooral menselijk te houden.
We bieden financiële zekerheid door de overname van uw debiteurenrisico. En met onze factoring- en clearingoplossing nemen wij u werk uit handen. Zo kunt u zich richten op wat écht belangrijk is: de beste zorg voor uw patiënt. Zo brengen we de lach in uw praktijk!
Weten hoe? Scan de QR-code of ga naar www.infomedics.nl/mondzorgprofessionals
De vacatures binnen tandartspraktijken vliegen je momenteel om de oren door de enorme krapte op de arbeidsmarkt. In alle regio’s in Nederland is het moeilijk nieuw personeel te vinden, wat ertoe leidt dat ‘de eerste de beste’ soms direct wordt aangenomen. Maar wordt je praktijk hier wel beter van? Het antwoord kun je wel raden en daarom een goed moment het personeelsbeleid eens kritisch onder de loep te nemen. Ga je voor preventief of curatief?
Sjoerd KuikenIn tijden van welvaart moet je gaan bezuinigen en in tijden van crises ga je investeren. Volgens deze golfbeweging is het met de huidige krappe arbeidsmarkt hét moment te gaan investeren in je personeelsbeleid. Maar wat verstaan we eigenlijk onder het personeelsbeleid? Op Wikipedia staat het volgende:
Personeelsbeleid is een onderdeel van het organisatiebeleid, namelijk het deel dat direct betrekking heeft op het personeel. Personeelsbeleid is het geheel van maatregelen gericht op arbeid dat helpt de organisatiedoelstellingen te verwezenlijken.
Dit zou je ook kunnen verwoorden als dat je met een goed personeelsbeleid zorgdraagt voor je personeel en je praktijk. Goed personeelsbeleid houdt je medewerkers gemotiveerd en draagt zo bij aan het realiseren van de praktijkdoelen.
Door de krappe arbeidsmarkt wordt er veel aan personeel ‘getrokken’. Regelmatig hoor ik verhalen, dat medewerkers met hogere salarissen worden gelokt vanuit andere
praktijken. Ook wordt steeds vaker nagedacht over het al dan niet uitkeren van een bonus. Maatregelen die zijn gericht op het binnenhalen en behouden van personeel. In mijn ogen zijn bovengenoemde maatregelen – van het aanbieden van een hoger salaris en het verstrekken van een bonus –echter ‘lapmiddelen’. En om die reden geen maatregelen, waarmee een praktijk structureel vooruitgang boekt. Het zijn ‘curatieve’ maatregelen om in zorgtermen te blijven.
motiveert
De kracht van een praktijk wordt – in mijn ogen – nog altijd gevormd door het team, omdat zorgverlening om vertrouwen en teamwork vraagt. En beiden om een persoonlijke, menselijke benadering vragen, wat je niet kunt automatiseren. Een praktijk is dan ook gebaat bij een goed en stabiel team en gemotiveerde medewerkers. Daarvoor is het interessant te kijken naar wat een medewerker eigenlijk motiveert in zijn of haar werk. Mensen raken onder andere gemotiveerd door zaken als:
• betekenis (waarde) van het werk
• Deskundigheid
• Creativiteit
De cursus Endodontologie in de praktijk is een praktische cursus met veel aandacht voor- en practicum met moderne instrumentarium en materialen, zoals; endomotoren, vijlsystemen, lengtebepaling, apexlocators, irrigatie en obturatie. Deze cursus is zowel voor de tandarts met jaren ervaring als de jongere tandarts, die meer praktijkervaring op wil doen.
Met de komst van de gedifferentieerde tandartsen worden veel wortelkanaalbehandelingen niet meer in de eigen praktijk gedaan maar “uitbesteed”. Is dit de realiteit?
Zeker is dat de initiële wortelkanaalbehandeling van essentieel belang is voor het eindresultaat. Ongeacht of je de behandeling zelf afmaakt of verwijst naar een gedifferentieerde collega, het is belangrijk om de mogelijkheden en de prognose vanaf het eerste moment mee te laten wegen.
24 NOVEMBER 2023
GOOILAND HILVERSUM
Tussen alle mooie nieuwe ontwikkelingen in het vak zouden we bijna de essentie van parodontologie uit het oog verliezen. Hoog tijd dus om tijdens het NVvP najaarscongres 2023 terug te keren naar onze roots, waarbij de kern, de visie en de ontwikkeling van de parodontologie door de jaren heen systematisch worden toegelicht. En wie kunnen dat beter doen dan de oude en nieuwe ereleden van de NVvP, aangevoerd door de coryfeeën in de parodontologie. Kortom: het draait deze dag over de essentie van de parodontologie: van de oorsprong, langs de ontwikkelingen door de jaren heen en met een stevige blik op de toekomst. Natuurlijk sluiten we zo’n bijzondere dag af met een borrel plus DJ. Een dag om niet te missen. Inschrijven kan eenvoudig en snel op www.nvvp.org
• Verbondenheid met een groep
• Autonomie
• Zekerheid
• Materiële beloning
En ja, de materiële beloning komt hierin terug. Echter, in mijn ogen gaat het dan
den van een kandidaat. Welke diploma’s bezit je? Hoeveel ervaring heb je? Maar ook: op welke dagen kun je werken? De uitdaging is om díe kandidaat te selecteren, wiens waarden aansluiten bij die van de praktijk. Als de persoonlijke waar-
Geniet van Vlieland terwijl je verblijft in een heerlijk, ruim appartement met het gemak van thuis en de extra’s van een hotel. Zoals een wellnesscentrum met verschillende sauna’s, zwembad en bubbelbad, een fitnesscentrum en een uitgebreid ontbijtbuffet.
Een heerlijke plek om samen met je gezin, familie of vrienden te genieten van rust, privacy, luxe en natuurlijk het eiland. Ga snel naar de website en boek een van de heerlijke appartementen!
Een goed personeelsbeleid gaat uit van een ‘preventieve’ aanpak. Hiermee bedoel ik een beleid, dat inzet op een langere termijn benadering en zo structureel werkt aan het opbouwen van een goed team. Als praktijkhouder zet je hiervoor de middelen in die jouw medewerkers motiveren, zodanig dat je medewerkers ook heel graag bij jouw praktijk willen werken. Kortom, je zorgt voor structureel goede arbeidsvoorwaarden als basis. Aangevuld met het een sfeer en werkomgeving, waar medewerkers maar al te graag onderdeel van willen uitmaken. Op die manier bouw je structureel aan je team en voorkom je om ‘lapmiddelen’ te moeten inzetten als redmiddel.
Samengevat
De huidige krapte op de arbeidsmarkt leidt ertoe, dat je als praktijk vooral bezig bent
om je vacatures op te vullen. Uitdaging is echter om naar de langere termijn te kijken en hoe je als praktijk de juiste medewerkers weet aan te trekken, de goede medewerkers weet te behouden en een team weet te vormen. Durf als praktijkhouder te gaan voor de – preventieve – lange termijn aanpak, omdat alleen een dergelijke aanpak je praktijk écht beter maakt. Belangrijke onderdelen van een dergelijke aanpak zijn onder andere:
1. Duidelijke en uniforme arbeidsvoorwaarden voor het hele team
2. Een goed basissalaris (minimaal marktconform, maar het liefst net daarboven)
3. Goede secundaire arbeidsvoorwaarden
4. Medewerkers selecteren op basis van persoonlijkheid, motivatie en waarden
5. Blijven benoemen en werken aan motiverende factoren als: de betekenis van het werk, de groepsbinding, ieders persoonlijke deskundigheid en autonomie.
Advertentie
Sjoerd Kuiken is eigenaar van Kuiken Praktijkmanagement (www. kuikenpraktijkmanagement.nl).
Voor objectieve praktijkanalyses, intensieve begeleidingstrajecten en online cursussen voor praktijkhouders en -managers.
Bron: https://nl.wikipedia.org/wiki/ Personeelsbeleid
Metlezingenvan
dr.ErikReukers
LyanneRoeleveld
dr.NestorTzimpoulos
MichaelLindtoft
endeHansGenet-lezingdoor
AnnemarieBaaij
kijkvoorhetvolledigeprogramma &inschrijvenop www.nvve.com
ofscandeQR-code
NVvENajaarscongres
zaterdag4november2023
ProdentfabriekAmersfoort
Praktijk: Tandartsenpraktijk Curfs, Gulpen
Medewerkers: 3 tandartsen, 1 mondhygiënist, 1 paropreventie-assistent, 1 preventie-assistent, 4 assistenten, 1 administratief medewerker
Website: www.tandartsenpraktijkcurfs.nl
Bureau: Buro/S Architects
Voor een bestaande driekamer tandartsenpraktijk in het hartje van Gulpen een nieuw interieur ontwerpen. De opdrachtgevers liepen in de voormalige praktijk van bijna 30 jaar oud namelijk tegen een aantal problemen aan. De praktijk was erg gedateerd en voldeed niet meer aan de huidige regelgeving met betrekking tot onder andere gescheiden routing en hygiëne. De praktijk moest overzichtelijk worden en een uniforme uitstraling krijgen.
Specifieke wensen
Veel daglicht in de praktijk, ook in de behandelkamers. De behandelkamers moesten verder iets ruimer en minder hokkerig ogen en er was behoefte aan een overzichtelijke routing met heldere looplijnen. De functies in de praktijk moesten ook duidelijker worden gescheiden en er was de wens voor een extra kamer.
Invulling architect
De architect heeft een totaalplan ontworpen waarbij het zonder een uitbouw gelukt is om bovenstaande problemen op te lossen en een extra kamer toe te voegen aan de praktijk.
Ondanks de kleine openingen in de gevel en de geringe oppervlakte van 110 m2 (op de begane grond) is er een zeer ruimtelijke en lichte praktijk ontstaan. Door de toevoeging van een lichtstraat op een strategische positie en toevoeging van glas op de juiste plekken in de kamers, is er zowel in de behandelkamers als de rest van praktijk voldoende daglicht aanwezig.
De kamers zijn identiek en hebben allemaal een voor- en achter route. Dit zorgt voor rust en overzichtelijkheid in de praktijk.
Voor de materialisatie is gekozen voor lichte en frisse kleuren en materialen zoals eikenhout, vilt en HPL (laminaatplaten) in verschillende kleuren. De donkergroene accenten bij bepaalde elementen - zoals sommige kasten en de receptie - zorgen voor een natuurlijke bewegwijzering in de praktijk. Hierdoor is een verrassend geheel ontstaan.
De opdrachtgevers zijn uitermate tevreden over het eindresultaat en ervaren het nieuwe interieur als een zeer aangename werkomgeving. Vooral de manier waarop om is gegaan met het daglicht vinden ze erg bijzonder. De patiënten zijn erg verrast over de grote transformatie van de praktijk.
Ik schrik niet snel maar nu..... Net iets langer dan een momentje val ik stil. Moeder kijkt me verwachtingsvol aan. ‘Hoe ziet het er uit? We poetsen tegenwoordig extra lang’
Ze vertelde me dat er onlangs een informatieavond op het kinderdagverblijf over gezonde kindertanden was geweest. Andere ouders vertelden daar dat hun kinderen al gaatjes hadden gehad en toen was ze geschrokken. Ze was immers nog nooit met haar dochtertje bij de tandarts geweest. ‘Ik dacht dat je pas vanaf 4 jaar hoeft te gaan’. Kleine Sophie kijkt me aan met een mix van nieuwsgierigheid en angst. Ik mompel wat bemoedigende woorden naar de moeder en begin mijn spel om de kleine meid in de stoel te krijgen, met poetsdraak en al.
Eén blik in de mond en ik weet genoeg, er is werk aan de winkel. Dan laat ik Sophie’s moeder kort meekijken in
de mond en zet vervolgens de stoel weer rechtop. ‘Sophie, wil je een spelletje met me doen?’ Ik pak de Jenga stapeltoren uit de kast en zie haar stralen. Dat spel kent ze wel en ze klimt enthousiast op een kruk.
Om de beurt pakken we een blokje, eerst Sophie, dan mama en dan ik. Als we allemaal een keer geweest zijn begin ik mijn verhaal. ‘Het glazuur van tanden is het hardste wat we in ons lijf hebben, een beetje zoals deze toren. En dat is maar goed ook want onze tanden moeten hard werken.’ Sophie knikt instemmend, ze is dol op winegums ‘En die moet je hard kauwen’ vertelt ze trots. Ik kijk haar aan met een blik van herkenning en ga verder. ‘Van sommige dingen wordt de toren minder sterk’, ik haal een blokje weg. ‘Wat denken jullie dat dit zou kunnen zijn?’ De moeder van Sophie haalt ook een blokje weg en geeft een korte samenvatting van de uitleg bij de informatieavond. Iets over poetsen,
tandpasta en suikergebruik, dat is goed geland zeg! Toch durft ze niet te zeggen wat de gaatjes heeft veroorzaakt. Sophie biedt een helpende hand en zegt dat ze ‘echt niet zoveel snoept hoor.’ Hihi, slimme meid. Ik vraag daar nog even op door en kom er gaandeweg achter dat Sophie altijd heeeeeeeel zuinig doet met haar snoepjes en fruit, lekker lang genieten. Vaak komt dat neer op de hele middag. Bingo.
Ik pak nog een blokje en de toren valt om, ‘GEWONNEN!’ roept Sophie. De boodschap blijft overeind, iedereen gelukkig.
*Met dank aan Lina Jasulaityte voor deze metafoor
Marit Verschuuren, trainer en coach van de Cariësvrije Generatie (cariesvrij.nu) en mondhygiënist bij Dentalways in Delft.
De Leergang Endodontologie is een onderdeel van Academiae en sluit als postacademische opleiding aan op de tandartsenopleiding van de universiteiten.
Met de basiskennis die je hebt gaan we nader in op de diagnostiek, veelal aan de hand van casuïstiek, die we interactief behandelen. Om je behandelingen met meer vertrouwen te doen zijn er vele hands-on practica. Gedurende 8 modules vergroot je je kennis en vaardigheden met diverse instrumenten en equipment. Dit alles wordt begeleid door ervaren docenten en specialisten.
8-daags programma:
Röntgen en diagnostiek
Diagnose & prognose
Wat/ hoe spoed behandelen & DETI
Vijl systemen & lengtebepaling
Licht & zicht
Isolatie & endodontische opening Spoelen, desinfectie & medicatie
Obturatie & fysiologie van herstel
Restauratie & herbehandeling
Sprekers:
Tandarts Rob Vermaas
Tandarts-endodontoloog Ellemieke Hin
Tandarts-radioloog Kostas Syriopoulos
Start: 9 februari 2024
DSA is de uitvinder van de stand-alone unit, van zweep tot cart. Al 35 jaar handgemaakt, dus topkwaliteit. Langdurige innovatie en doorontwikkeling hebben geleid tot een volledige waterkwaliteitsbeheersing, een fluisterstille unit en een onvolprezen laag energieverbruik. En natuurlijk hoeven er geen leidingen gelegd te worden en bespaart u een volledige machinekamer.
DSA-The Original.
Bespaar tot wel €1400,- per jaar per unit energiekosten!aan *