TheProject
A Publication of The Miami Project to Cure Paralysis & The Buoniconti Fund to Cure Paralysis
Celebrating

![]()



Dear Friends,
This year marks a monumental milestone, the 40th anniversary of The Miami Project to Cure Paralysis. I can hardly believe it has been four decades since my injury. As I lay on that football field, I never could have imagined that moment would ignite a movement, a scientific revolution that would change the world and give hope to millions.
What started as a promise between a father and his son has grown into a global mission fueled by science, courage, and the relentless pursuit of a cure. From those earliest days, my father and Dr. Barth A. Green had the vision and the heart to believe that hope could become healing.
Today, The Miami Project stands as a beacon for those living with spinal cord injuries and neurological disorders and diseases around the world. This year, we not only honor 40 years of groundbreaking research and extraordinary progress, we also celebrate four decades of unwavering support from you, our incredible friends, donors, and partners.
We are especially proud to commemorate the 40th anniversary of the Great Sports Legends Dinner, a legendary evening that has brought together iconic athletes, celebrities, philanthropic heroes and compassionate supporters in the name of hope, research, and cures. This celebration isn’t just about honoring sports heroes, it’s about honoring the heroes who have stood by us, believed in our mission, and helped us get to where we are today.
I’m proud to share that the state of The Buoniconti Fund and The Miami Project has never been stronger. Our world-class researchers are leading multiple human clinical trials, restoring function, and changing lives. Every day, our team gets closer to unlocking the mysteries of the nervous system and discovering breakthroughs that will impact not only paralysis, but also a host of neurological conditions.
To each of you who has supported us, thank you. Your belief in this mission has helped fuel our determination, and we will continue forward with everything we have, until we get everyone out of their wheelchairs.
I will never give up! We will never give up!
With heartfelt gratitude,

Marc A. Buoniconti

The Miami Project to Cure Paralysis, a Center of Excellence at the University of Miami Miller School of Medicine, continues to make important discoveries in the areas of brain and spinal cord injury. Our multidisciplinary program in the areas of discovery, translational and clinical neuroscience research are directed to protecting and repairing the nervous system after injury. We sincerely thank all our friends, volunteers, and the SCI community for supporting our research mission to seek fundamental knowledge about brain and SCI and use that knowledge to reduce the burden of neurotrauma and other neurological diseases.
In the area of neuroprotection, our multicenter trial in therapeutic hypothermia is continuing to recruit spinal cord acutely injured subjects with the goal of changing medicine. Our drug discovery programs are developing new drugs to reduce inflammation and promote successful axonal regeneration. Our therapeutic translational pipeline is helping to advance NIH and DOD funded programs which are changing the way we improve function and quality of life in people living with spinal cord injury and other types of injuries.
In the area of repairing the nervous system, current research is evaluating the beneficial effects of human Schwann cell-derived extracellular vesicles as a novel approach to delivering important proteins and genetic materials that our scientists feel will have a significant impact on treating a variety of neurological disorders.
The Christine E. Lynn Rehabilitation Center is allowing our clinical investigators to more efficiently work with several clinical programs to recruit new subjects for our research initiatives. We are evaluating rehabilitation approaches to improve locomotor function, upper extremity movement and quality of life issues including neuropathic pain, spasticity, obesity and cardiovascular disease. Our multidisciplinary scientific community is fortunate to work in two state-of-the-art facilities where new discoveries in the Lois Pope LIFE Center can be successfully translated to the Lynn Center where everyday advances are being made to improve medical care.
To retrain the nervous system after injury, neuroscientists are working closely with engineers to develop novel strategies for stimulating residual brain circuits to takeover function that is lost after spinal cord injury. New FDA approved trials including peripheral nerve transfers and deep brain stimulation are directed to providing motor function on chronically injured individuals. The Miami Project was also chosen as the 2nd site in the U.S. to participate in the Neuralink investigational medical device trial to evaluate safety and functionality of their brain computer interface for enabling SCI and ALS subjects to control external devices with their thoughts.
These are exciting times for The Miami Project as we translate neurotrauma discoveries to other neurological disorders including neurodegenerative diseases such ALS, MS, Parkinson, and Alzheimer’s disease. We sincerely appreciate the continued support of our friends and colleagues for our programs focusing on novel strategies to improve function and quality of life in individuals living with paralysis and other neurological disorders.
Barth A. Green, M.D., F.A.C.S - Co-Founder
W. Dalton Dietrich, Ph.D. - Scientific Director
Allan D. Levi, M.D., Ph.D. F.A.C.S - Clinical Director
Barth A. Green, M.D.
Chairman and Founder, The Miami Project
Marc A. Buoniconti
President, The Miami Project and The Buoniconti Fund
W. Dalton Dietrich, III, Ph.D.
Scientific Director, The Miami Project
Stephanie Sayfie Aagaard, Executive Director The Miami Project Board Member, The Buoniconti Fund
Suzanne Sayfie, Director of Major Gifts, The Buoniconti Fund
David McMillan, Ph.D., Director, Education
Diana Berning, Senior Manager of Business Operations
Scott Roy, Director, Public Relations & Communications
Teri Bendell-Bou, Director, Web Services, Auction and Database Management
Randy Medenwald, Director, Government Relations
David McMillan, Ph.D., Editor
Scott Roy, Managing Editor
Robert Camarena, Graphic Editor
Contributors: David McMillan, Dr. Dalton Dietrich, Stephanie Sayfie Aagaard, Suzie Sayfie, Teri Bendell, Robert Camarena, Randy Medenwald, Scott Roy
Photographs
Robert Camarena, Getty Images, Ralph Notaro, Mike Roy
Physical Address: Lois Pope LIFE Center 1095 NW 14th Terrace, R-48 Miami, FL 33136
Phone: 305-243-6001
www.TheMiamiProject.org
The Project is published twice a year by The Miami Project to Cure Paralysis, a Center of Excellence at the University of Miami Leonard M. Miller School of Medicine. All contents ©2025 Reproduction in whole or in part without written permission is prohibited. The University of Miami is an Equal Opportunity/Affirmative Action Employer Privacy Policy: If you do not wish to receive The Project in the future, please send your request to the address above or call 305-243-2267.













Foundational research in therapeutic hypothermia has blazed the trail for the Miller School of Medicine to stay at the forefront of therapeutic hypothermia research.
In the early 80s, W. Dalton Dietrich, PhD, was recruited to the Department of Neurology, University of Miami to collaborate with colleagues in the internationally recognized Cerebrovascular Disease Research Center (CVDRC). One early task was to develop morphological approaches to quantitatively assess pathological damage in models of cerebral ischemia and stroke. An observation from evaluating hundreds of histological slides that would impact his research programs for decades was that the cerebral ischemia models resulted in variable degrees of hippocampal neuronal damage, a structure important in memory and learning. Studies were designed to determine the reasons for these neuropathological inconsistencies which presented major challenges for investigating injury mechanisms and the testing of therapeutic approaches.

Dietrich and CVDRC colleagues investigated multiple factors for this reproducibility issue including ischemic severity, metabolic and electrophysiological differences, but could not identify a reasonable explanation. An important clue came from the early cardiac bypass clinical literature showing that rather large reductions in whole body temperature (profound hypothermia) protected various organ systems during some surgical procedures. This awareness of the literature ultimately led to studies that demonstrated inconsistences between systemic temperatures and ischemic brain temperatures where variable degrees of uncontrolled mild hypothermia were recorded. “I remember searching the literature for data on human brain temperature measurements and found limited information on the subject,” said Dietrich. This observation led to the hypothesis that in contrast to profound hypothermia, rather mild reductions in brain temperature between 2 or 3oC were enough to protect the brain after an ischemic insult. “These were exciting times in the CVDRC where our research group including Drs. Myron Ginsberg, Peritz Scheinberg, Mordecai Globus, and Raul Busto began evaluating the effects of intraischemic and post-ischemic mild hypothermia as a critical step for the possible translation of this treatment to patients suffering from brain injury,” said Dietrich.
New experiments were designed where brain temperatures were maintained at precise temperature levels during and after the ischemic insult to determine temperature-dependent effects on histopathological
Therapeutic Hypothermia (TH) is today considered one of the most powerful neuroprotective strategies for protecting the brain and spinal cord after injury. The University of Miami became one of the premier institutes for medical research and training in TH and targeted temperature management (TTM) for many years to come.
outcome. Results showed that while relatively small reductions in brain temperature protected against neuronal damage, mild elevations in brain temperature (hyperthermia) that occur during periods of fever increased ischemic damage. Subsequent publications and presentations at national and international meetings helped spread the word about these exciting findings coming out of Miami with groups conducting their own temperature studies. The good news was that our major conclusions were replicated by many laboratories and Therapeutic Hypothermia (TH) is today considered one of the most powerful neuroprotective strategies for protecting the brain and spinal cord after injury. The University of Miami became one of the premier institutes for medical research and training in TH and targeted temperature management (TTM) for many years to come.
Based on the Miami findings, there was an explosion of experimental studies and clinical research using TH in out-of-hospital cardiac arrest patients, cerebral ischemia, traumatic brain and spinal injury. Two major TH clinical studies published in 2002 reported for the first time the beneficial outcomes in cardiac arrest patients showing that the cooling improved outcomes and decreased mortality rates. In infants suffering from neonatal hypoxic-ischemic encephalopathy, cooling studies were also initiated that also demonstrated

significant benefits. “Laboratories started measuring brain temperatures, inducing periods of TH or inhibiting periods of hyperthermia leading to the new field of TTM for different neurological patient populations” said Dr. Dietrich.
Attention was also directed at clarifying the cellular and molecular injury mechanisms underlying coolinginduced protection. Several studies reported that small temperature variations affected multiple secondary injury pathways felt to be involved in the pathogenesis of injury-induced damage. Indeed, the ability of mild hypothermia to impact multiple injury pathways is felt to underlie its powerful neuroprotective effect on ischemic damage said Dietrich, now Professor of Neurological Surgery and Scientific Director of the Miami Project to Cure Paralysis at the Miller School of Medicine. Today, many patients undergo TH or TTM procedures to reduce secondary injury mechanisms or protect against unwanted periods of brain hyperthermia. Because of the clinical issue of patient heterogeneity and the goal of providing personalized medicine, research programs are currently focused on developing surrogate biomarkers to predict which patients would best benefit from TH and TTM by selecting specific cooling levels and durations to maximize benefits.



Today, hundreds of manuscripts are published each year on the benefits and limitations of TH and TTM in clinical settings. Current clinical studies at the MSOM led by Dr. Allan Levi, Professor and Chair, Department of Neurological Surgery, include a 6-site multicenter TH trial in acutely injured SCI patients where limited treatments are available to improve functional outcomes. Other studies led by Dr. Suhrud Rajguru and colleagues in the Departments of Biomedical Engineering and Otolaryngology are assessing the beneficial effects of local ear cooling during cochlear implantation procedures or noise-induced hearing loss to reduce damage to inner ear hair cells important for hearing.
In terms of discovery research, Dr. Dietrich and colleagues continue to study the pathological consequences of brain and SCI using the next generation of technological approaches. A current study by Drs. Nadine Kerr, Helen M. Bramlett, Jae Lee and Dietrich is using next generation single cell genomic analyses to determine how TH affects various subtypes of neurons, glia, endothelial, and inflammatory cells after ischemic and traumatic injury. Drs. Dietrich and Bramlett are also working with Drs. Sylvia Daunert and Sapna Deo in the Department of Biochemistry & Molecular Biology to develop the first nanodrug that can be intranasally administered to rapidly induce mild hypothermia on the way to the hospital.
Over a 10-year period Drs. Dietrich and Bramlett hosted the UM Annual “Chilling at the Beach” scientific conferences on TH and TTM where invited experts gathered in Miami to debate the use of these experimental strategies in respective patient populations. International Hypothermia Symposia were hosted in Tokyo Japan, Lund Sweden, Eindhoven Netherlands, Philadelphia, and Miami to advance new technologies to effectively cool patients in a controlled and safe manner. In 2011, sustained interest led to the creation of a new Journal entitled Therapeutic Hypothermia and Temperature Management for publishing new articles and state-of-the-art reviews. Faculty and trainees continue to conduct research on the fundamental question of how small variations in neural temperatures can improve or worsen outcomes while bringing together researchers from many countries to work on related projects.
Looking back over the last 40 years there are many fond memories and lessons learned from working with the hundreds of individuals that were instrumental in investigating this scientifically interesting and clinically important topic. Today, the TH field remains highly relevant and stands as a success story for the translation of a preclinical therapy to the clinic. “As research questions continue to evolve and technologies become more sophisticated, researchers remain excited about the future uses of cooling and temperature management for protecting and repairing the nervous system from human diseases and other disorders,” said Dr. Dietrich.

Since its founding in 1985, The Miami Project to Cure Paralysis has aimed to shape the therapeutic landscape of medicine for the management, and eventual cure, of paralysis from spinal cord injury.

Variety of study team members involved in the inaugural Schwann cell implantation clinical trial
In the four decades since, The Miami Project’s portfolio of studies has expanded to include other neurotraumatic and neurodegenerative conditions. Within this expansion, the core approach remains the same: unify within one center a comprehensive collection of experts that specialize in different levels of therapeutic development, and then incentivize them to work together to discover, translate, and eventually implement new neurotherapeutics.

The Miami Project’s first journey into clinical trials involved the very cell type that Mary B. Bunge, Ph.D. and many other basic science researchers had been investigating in pre-clinical models for years in the Lois Pope LIFE Center. A proper clinical trial requires the inventor(s) of a potential therapeutic to ask the Food and Drug Administration (FDA) for permission to make the leap into people. If the pre-clinical data are compelling, the FDA will authorize a limited and monitored investigation where the technology is delivered, for the first time, to people. In 2012 the FDA granted Investigational New Drug (IND) authorization for The Miami Project to be the first group to transplant Schwann cells into a human spinal cord at the level of injury.
Since then, The Miami Project has expanded clinical trials efforts across multiple therapeutic categories (the FDA designates three: device, drug, and biologics) and, equally as important, across the full continuum of care. From acute surgical interventions to protect neurological status, to outpatient rehabilitation to optimize recovery, to primary care long-term lifestyle medicine for the maintenance of the chronic comorbidities of paralysis, The Miami Project applies a comprehensive approach within clinical research as with pre-clinical efforts.
In 2013, The Miami Project moved into medical devices with an implanted brain-computer interface (BCI) trial enabled by neurosurgical colleagues.
Expansion of devices implanted in the brain continued in 2017 with a deep brain stimulation (DBS) study targeting neuropathic pain and autonomic dysreflexia. These efforts in BCI and DBS continue to the present, as recent collaboration with Neuralink as a site for the ongoing PRIME trial, and the FDA has recently granted approval for a DBS study for control of walking in incomplete tetraplegia.
This continuity of focus extends to The Miami Project’s biologics portfolio, which continues to sustain and expand upon foundational Schwann cells. Schwann cell transplantation, combined with intensive rehabilitation, was attempted in the chronic phase of SCI in 2022. Concurrently, other clinical trials investigated other cell types. The 2017 bone marrow mesenchymal stem cell trial and 2019 neural stem cell investigations reflect growing understanding that different cell types may offer complementary benefits. Along with the sustained pursuit of biologic therapeutics for spinal cord injury, The Miami Project also takes knowledge from ongoing clinical trials in this population and scales the potential to other forms of paralysis. In 2013, Schwann cells like those transplanted into the spinal cord were instead used in a separate clinical trial to determine their effect on peripheral nerve injuries. Investigation of Schwann cells for peripheral nerve repair continues to this day. In a separate but related trial, exosomes extracted from Schwann cells were infused in late-stage amyotrophic lateral sclerosis (ALS).

Through core collaborative efforts involving high content screening for drug discovery, The Miami Project has also identified a promising drug target. Prestigious and innovative Blueprint Neurotherapeutics Network funding was won to pursue the development of this potential pharmaceutical that is designed to have multiple targets. The pathway to translating this compound into a drug is approaching as multiple milestones have recently been met. This effort completes The Miami Project’s foray into all FDA therapeutic categories.

In 2020, this proven comprehensive translational approach underwent a transformative development via the Christine E. Lynn Rehabilitation Center for The Miami Project to Cure Paralysis at UHealth/ Jackson Memorial. In this building, laboratories are now intertwined within medical operations in an accredited in-patient rehabilitation hospital. Previously, the Department of Neurological Surgery made possible acute surgical intervention. Now, being housed within in-patient and out-patient rehabilitation services entangles The Miami Project’s clinical trials with the Department of Physical Medicine & Rehabilitation and other providers required for the complex care of spinal cord injury and other paralytic forms. Now
The Miami Project researchers are in the room from the point of trauma admission, through the initial in-patient and outpatient rehabilitation, to postcontinuum therapy and lifetime maintenance. This brick-and-mortar access instantiates a participant recruitment pipeline that will further facilitate the translation of basic science discovery into clinical trials testing neurotherapeutics.
Demonstrating this increased clinical trials capacity, the Lynn Rehabilitation Center housed The Miami Project’s contribution as a site to the Up-LIFT noninvasive transcutaneous spinal cord electrical stimulation trial sponsored by ONWARD Medical Inc. A nerve transfer surgery trial, which reroutes functioning nerves to restore function below injury levels, is underway with pre- and post-operative measures conducted in the rehabilitation laboratories. And while not yet targeting rehabilitative outcomes, The Miami Project’s site contribution to Neuralink’s PRIME clinical trial uses the Lynn laboratories for perioperative assessments.

The Miami Project’s comprehensive translational pipeline is a premier integration of basic science, preclinical translation, and clinical investigation spanning all therapeutic categories across the full continuum of care. Contact us if you or anyone you know are interested in participating in our trials or learning more about our comprehensive neuroscience. For questions about ongoing trials, research opportunities, or potential partnerships, contact The Miami Project to participate in the use of science to care for, and eventually cure, paralysis.


1985, Don Misner, Barth A.Green, M.D., and Beth Roscoe establish spinal cord injury research laboratories within the University of Miami School of Medicine Department of Neurological surgery.


October 1985 Marc Buoniconti sustains spinal cord injury. Nick Buoniconti consults with Dr. Barth Green and learns of fledgling research effort. National attention to Marc’s injury galvanizes fundraising efforts


1986-1992 State of Florida provides $250,000 per year for laboratory equipment acquisition and research programs.

Fall 1986, The Buoniconti family sponsor First Great Sports Legends Dinner at Waldorf Astoria Hotel in New York City

October 1985
Barth A. Green, M.D., worldrenowned neurosurgeon, and Nick Buoniconti, NFL Hall of Fame linebacker, founded The Miami Project to Cure Paralysis after Nick’s son, Marc, sustained a spinal cord injury during a college football game.

1986, Ake Seiger, M.D. becomes first Scientific Director, begins building team of basic and clinical research scientists.


1986, First Clinical studies at The Miami Project focused on lower extremity cycle ergometry, biofeedback functional electronic electrical stimulation and rehabilitation strategies.

April 1987 Twentythree laboratories are dedicated. Seven principal investigators are housed in 6,000 sq. ft.


1988 Dr. Seiger returns to Karolinska Institute in Sweden. Richard P. Bunge, M.D. is selected as second Scientific Director.

1989 The Miami Project initiates and continues to carry out a comprehensive study of the pathology of human spinal cord tissue after injury to better understand the cellular damage caused by SCI, and guide the development of innovative treatment strategies. Findings published in 1993 clarify the pathology of central cord syndrome and change medical textbooks.

1988-present Methods to isolate human Schwann cells from the adult human nervous system were developed at The Miami Project. Cell biology studies help define factors that influence the function of myelin-forming cells.



1991 National Institutes of Health awards a five year multi-million dollar Program Project Grant to The Miami Project for studies of ‘Cellular Responses.’

1991 University of Miami School of Medicine names The Miami Project a Center of Excellence. The Miami Project gains international credibility.

1991The Louis and Virginia Bantle Rehabilitation Research Center is dedicated.


1988 A four-center study on electrical stimulation benefits published. In 1992, evidence is obtained by Miami Project researchers that electricallystimulated exercise positively influences cardiopulmonary function and strengthens the immune system in paralyzed persons.



1991 Miami Project scientists offer first evidence of regeneration in the human nervous system.
Adult nerve cells are shown to regenerate if they are provided with a growth environment containing Schwann cells.

1992-1999 (7 years) State of Florida provides $500,000 each year through the Brain and Spinal Cord Injury Trust Fund. This seed money helps Miami Project laboratories compete for and successfully obtain NIH funding.



Buoniconti Fund Founding Board Members

1993 Miami Project researchers reported the first clear evidence for neuronal circuitry in the human spinal cord that generates the rhythmic movements needed for walking. Findings are impetus for rehabilitation studies of body weight support gait training.

1994 A novel intraoperative monitoring method, conceived and developed at The Miami Project, is named a ‘standard of medical care’ for pedicle screw placement.


Buoniconti Fund Launches $30 Million Capital Campaign for THE MIAMI PROJECT TO CURE PARALYSIS

1994 The Miami Project contributes the majority of data in a multi-center study of a Functional Neuromuscular Stimulation Assisted Walking device. The findings lead to the first FDA approval for such a device.
1994 Miami Project researchers use genetic engineering to develop cell lines that secrete selected neurotransmitters and growth factors. The efficacy of cellular therapies, such as chromaffin cell transplants to alleviate chronic pain, are tested.




1995 Developed and initiated testing of Schwann cell bridges in experimental spinal cord transections.
1995 The Kinetic Concepts, Inc. Distinguished Chair in Neurosurgery is established for The Miami Project Scientific Director.

September 10, 1996 Scientific Director, Richard P. Bunge passes away following long illness.


October 26, 1995 On the tenth anniversary of Marc Buoniconti’s injury, The Miami Project breaks ground for its new research facility.


1996 Lois Pope donates $10 million, the largest private gift made to the University, for spinal cord injury and neuroscience research.


June 1997
W. Dalton Dietrich, Ph.D. accepts the position as the third Scientific Director.

October 26, 2000
Lois Pope LIFE Center officially opened. 118,000 sq. ft. research facility. Houses multi-disciplinary neuroscience research team. Maintains Core facilities for Image Analysis, Electron Microscopy, Histology, Experimental Surgery, Behavioral Testing, and Clinical Trials.


2000 Novel motor neuron transplant strategy to salvage completely denervated muscles tested.


1996-present
Researchers strive to understand if novel therapies such as body weight support gait training can influence rewiring of the nervous system and whether these interventions retrain the spinal cord to coordinate walking.


1997 The benefits of systemic moderate hypothermia first documented in chronic TBI.
1997 Parastep ambulation training benefits in SCI reported
1997 Studies to develop new strategies for protecting the spinal cord after injury are initiated.
1999 Findings demonstrate beneficial effects of InterleukinILB. Preclinical studies of hypothermia also encouraging.

1998 The Miami Project tests Schwann cell bridges in combination with other growth promoting strategies to stimulate spinal cord regeneration.

2000 Scientific Director, W. Dalton Dietrich proposes Five Steps To A Cure.
I. Patient selection and pretraining
II. Surgical interventions and neuroprotection
III. Transplantation/regeneration
IV. Overcoming barriers for regeneration
V. Rehabilitation

2000 First demonstration that moderate therapeutic hypothermia is protective in experimental SCI.

2001-2003 (2 years)
State of Florida apportions $1.4 million per year to support basic and clinical science research at The Miami Project.

2001 Miami Project researchers examine the inhibitory environment that may prevent regeneration.
2004 Miami Project researchers discover a triple treatment combination therapy involving Schwann cells, Rolipram, and cAMP that promotes neuroprotection, axonal growth, and improved locomotion. This triggers the Clinical Trials Initiative to begin pre-clinical safety studies for a future clinical trial in humans.


2007 Injured NFL player receives therapeutic hypothermia because team surgeon heard of The Miami Project research. Stimulates Miami Project neurosurgeons to conduct phase 1 clinical trial evaluating safety of therapeutic hypothermia in a cohort of 14 people with acute SCI. Trial is successful and generates preliminary data for planned multicenter study.

2002 Miami Project researchers use gene

2004 First use of liquid handling robots and automated microscopes for screening of genes for drug discovery.


2005 Miami Project clinical researchers demonstrate for the first time that a specific motor training and sensory stimulation protocol improves hand function and cortical representation of upper extremity function after chronic SCI.

2009 Automated microscopy allows Miami Project scientists to screen thousands of genes to measure their effects on nerve growth and regeneration.

2010 Miami Project team holds successful pre-IND meeting with the FDA regarding future phase I clincal trial of Schwann cell transplantation in humans with sub-acute SCI. Pivotal animal safety studies addressing toxicity, biodistribution, and tumorigenicity are underway.


2010 First demonstration of the benefits of intravascular cooling in SCI humans.


2011 Christine E. Lynn Donates $10 Million Donation to name the Christine E. Lynn Human Clinical Trials Initiative.


2011 Cardiometabolic risk highlighted in chronic SCI.



2013 Discovery of new mechanism and therapeutic for male fertility after SCI.
2012 Therapeutic Hypothermia protects against diffuse axonal injury after TBI.
2012 MP researchers completed IND-enabling studies receiving FDA approval for human Schwann cell transplantation in subacute SCI subjects.


2014 First Deep brain stimulation in a porcine model showing improved walking.


2015 Microtubular stabilization agent to promote axonal regeneration.
2013 Initial use of machine learning for drug discovery.

2017 Results of human Schwann cell transplantation in subacute SCI subjects.

2016 First use of human Schwann cells to supplement sciatic nerve repair with large gap.




2017 Tumor Necrosis Factor Receptor 2 is first identified as a protective receptor with myelin repair properties.



2020 MP clinical researchers move into the Christine E. Lynn Rehabilitation Center after Christine Lynn donates $25 million to name the facility.

2021 Brain computer interface procedure for chronic SCI subject to improve hand function.


2022 Use of magnetoelectric nanoparticles to activate brain circuits after SCI.
2023 Use of deep learning strategies for assessing motor recovery after brain and spinal cord injury.



2018 Beneficial effects of whole-body vibration for Stroke.
2019 MP faculty develop first clinical practice guidelines to reduce risk of cardiovascular disease after SCI.

2021 Locomotor training reduces neuropathic pain after SCI.

2022 Results published for human Schwann cell transplantation in chronic SCI patients.





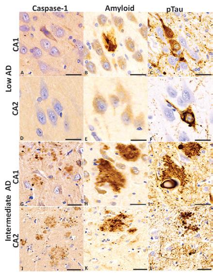
2022 First demonstration of Inflammasome signaling described in Alzheimer’s Disease.

2024 MP research report first pivotal trial for neuromodulation for improved hand function for SCI



2024 Development of pain education resource for SCI.


2025 DiMare Family and Paul J. DiMare Foundation donate $3.1 million to launch an innovative clinical trial for ALS.

2025 Single cell sequencing after SCI and TBI.


2024 Role of lipid-laden foamy macrophages in SCI.

2025 Human Schwann cell-derived extracellular vesicles tested in first ALS subject.


2024 W. Dalton Dietrich receives the prestigious Javits Neuroscience Award from NIH for excellence in research and scientific productivity.



2025 Lois Pope $10 million gift to name the Lois Pope Laboratory Wing in memory of Lorraine Pope.
2025 Miami Project second U.S. site to successfully implant Neuralink brain computer interface into chronic SCI subject.

2025 Human Schwann cellderived cargo first described by Miami Project scientists.


Neurorehabilitation has long been a focus of researchers and clinicians at the University of Miami Miller School of Medicine. In the early 80s, clinical researchers at The Miami Project to Cure for Paralysis began studying untested approaches to post-SCI rehabilitation, including the use of electrical stimulation of paralyzed muscle groups using microprocessor control. The goal of these studies was to improve function and wholebody fitness following cord injury. During this early period of the Miami Project’s history, rehabilitation studies were conducted in the basement of the old Jackson Memorial Rehabilitation Center, while basic neuroscience and more translation labs were located on the first floor of the Rosenstiel Medical Science Building. A decade later, the Department of Physical Medicine and Rehabilitation was the first to be added to the medical school since its founding in 1952. Dr.

Mark Nash, Professor of Neurological Surgery, Physical Medicine and Rehabilitation remembers those early days as both exciting and daring.” We were finally fulfilling the vision of Dr. Barth Green to create a center for research and clinical translation of bold new treatments for SCI. But we also knew that no other center had been able to sustain this effort for the long haul.” Nor was anyone else bold enough to include the word “cure” in their name, mission, and strategic plan. The overarching plan required the recruitment of leading scientists and clinicians, providing the advanced equipment they needed to execute the plan, and sustaining the laboratory space needed to house and maintain the work of state-of-the-science neuroscience and rehabilitation research programs.
Dr. W. Dalton Dietrich, Scientific Director of The Miami Project remembers Dr. Barth Green, Executive Dean of Global Health and Community Service and Chairman of The Miami Project emphasizing the great need for a new state-of-the-art rehabilitation building to house a dedicated faculty and staff. In 2000 with the help of Lois Pope, The Buoniconti Fund and the State of Florida, the University of Miami built the Lois Pope Life Center, which would be the new home of The Miami Project and center for neuroscience research. In this seven-floor building, the first floor was completely dedicated to clinical studies in neurorehabilitation, exercise, neurophysiological assessments and other quality of life programs. A lifestyle center with specially designed exercise equipment was also housed on the first floor where users could be supervised while working out and volunteering for research programs. Multiple quality of life studies targeting plasticity, neuropathic pain, nutrition, obesity, and male fertility were very active research areas.

Approaches for improving motor function for arm and hand function, as well as walking and gait training were combined with the newest technological advances for promoting motor and sensory recovery. These included suspensory ambulation systems and robotic exoskeleton systems for upright walking. These approaches increased energy use and heart rate for improving cardiovascular functions and life quality. Other studies focused on various quality of life issues such as neuropathic pain, spasticity, blood pressure regulation, obesity and endocrine systems dysfunction. A major advantage for locating these clinical laboratories on the first floor and behind glass walls, was that all the scientists entering the Lois Pope LIFE Center received a daily reminder of why they came to work and that their research could potentially help thousands of people living with spinal cord injury and other related neurological disorders.
New clinical research collaborations between The Miami Project and clinical departments including Physical Medicine and Rehabilitation began with
a list of supportive Chairs including Drs. Marcalee Sipski-Alexander, Diana Cardenas, Robert Irwin and Andrew Sherman. To the delight of many clinical researchers, Jackson Memorial Hospital around 2018 began plans to build a state-of-the-art rehabilitation hospital that was still so badly needed. Fortunately, one of Dr. Green’s close friends, Christine E. Lynn, donated significant funds to help build the state-of-the-art rehabilitation hospital. Importantly, the hospital would also provide 25,000 square feet of excellent clinical research space for The Miami Project and colleagues spread over three of its floors. Christine Lynn had been a long-time donor to The Buoniconti Fund, the funding arm of The Miami Project to Cure Paralysis, and had already been instrumental in supporting the creation of a unique therapeutic pipeline for the translation of the most exciting results into the clinic.
Another goal for building the Christine E. Lynn Rehabilitation Hospital for The Miami Project to Cure Paralysis at UHealth/Jackson Memorial with dedicated research space was to promote successful collaborations with other clinical departments and enhance the successful recruitment of research subjects including JMH patients into our clinical studies and trials. In 2020 Miami Project clinical researchers moved into the Lynn Center Rehabilitation Hospital, and began to recruit subjects and initiate new collaborations targeting early and more chronic injuries to the spinal cord, brain and peripheral nerves. Unfortunately, in January of 2020, Centers of Disease Control and Prevention alerted the nation of the outbreak of COVID-19 abroad. Ultimately, this led to a dramatic slowdown and eventually stoppage of animal research and clinical studies, the latter because of the high vulnerability of our patient population to respiratory diseases.
In 2020, David Gater, MD, PhD was recruited to Miami to serve as the Chair of Physical Medicine Rehabilitation and Medical Director of the Christine E. Lynn rehabilitation center. David had an enthusiastic approach to combining clinical and clinical care with state-of-the-art research and brought with him NIH funding that focused on obesity and metabolic disease in spinal cord injured subjects. This federal

funding combined with the department’s United States Department of Health and Human Services Model System SCI program, led by Dr. Elizabeth Roy Felix, slowly built new research programs in collaboration with Miami Project faculty, trainees and staff. Unfortunately, Dr. Gater passed away unexpectedly in 2024 but left a lasting legacy of high-level research and clinical excellence.
Today, the Christine E. Lynn Center for The Miami Project to Cure Paralysis, Jackson Health Systems. and the University of Miami are nationally recognized for excellence in patient care and clinical research. Lynn center researchers from more than eight clinical and basic science departments are conducting cutting edge clinical research and helping to train the next generation of clinical researchers. The lifestyle center that was located on the first floor of the Lois Pope Life Center is now relocated to the first floor of the Lynn Center, adjacent to a beautiful aquatic swimming pool facility to enhance function in patients, and has expanded the research to include physical activities, nutrition, and mindfulness. Laboratories on the second and third floor are conducting clinical trials, some of which represent extensions of the early protocols first conceived and planned when researchers were still working in the old Rehabilitation Center basement. In addition to upper and lower motor training, protocols to improve nutrition and obesity, male fertility, as well as cardiovascular disease and neuropathic pain are
actively seeking and enrolling research subjects. Team and trial science are our foundations, said Dr. Nash, with the focus of research on developing and validating evidence-based interventions that promote substantial neural repair and functional recovery to enhance quality of life after spinal cord injury.
Throughout the 90s and 2000s Miami Project faculty have been engaged in strategies for stimulating nerves and muscles to improve motor and sensory function. Quote from Dr. Mark Nash “early on clinical studies demonstrated that electrostimulation could indeed improve a function when combined with exercise.”
Early neuromodulation studies by MSOM faculty including Drs. Bernard Brucker, Blair Calancie, Edelle-Field Fote and Monica Perez, began initiated innovative investigations in the evolving field of neuromodulation. The goal of neuromodulation is to stimulate residual circuits in spinal cord and brain-injured subjects with a goal of regaining lost or reduced function following injury. Approaches using magnetic transcranial magnetic stimulation, deep brain stimulation, epidural stimulation and, more recently, transcutaneous stimulation have all proven to improve function in a subpopulation of SCI subjects. Today, neurorehabilitation research under the direction of Dr. Matija Milosevic creates and refines the electrophysiological tools needed to map damage of the central and peripheral nervous systems and then use these sophisticated tools to evaluate the safety and effectiveness of novel interventions that promote neural repair and functional enhancement. Extensive pain research conducted by international scholarresearcher Dr. Eva Widerstrom-Noga examines causes of, and interventions for ubiquitous pain following cord injuries.
In 2023, The Miami Project participated in one of the largest spinal cord injury trials, where 14 centers recruited chronic SCI subjects to test the benefits of transcutaneous stimulation with directed upper extremity rehabilitation on improving hand function. Dr. James Guest from the Department of Neurological Surgery and Dr. Leslie Morse both participated in the ground-breaking Uplift study that reported significant improvements in upper extremity function, and some additional secondary outcome measures including improved sleep, plasticity, and pain.
In 2024, UM and JMH were fortunate to recruit Dr. Leslie Morse from the University of Minnesota as the new Chair of Physical Medicine & Rehabilitation. Dr. Morse is an internationally known clinician and researcher with a long-term goal of developing mechanistic-based therapies to prevent and treat SCIinduced osteoporosis and bone fracture. In concert, increased collaborations with other departments including Physical Therapy, Neurology, Urology and Biomedical Engineering are leading to new research directions while helping to recruit new faculty and trainees.
Brain computer interface work is another example of neuromodulation therapy, where signals from the brain are recorded as electrical activity and used to improve function in specific muscle groups by bypassing the primary spinal cord injury site. In 2021, Miami Project researchers with the Department of Neurological Surgery first conducted a brain computer interface study in a subject living with SCI. In this study a single strip of sensors was surgically placed on the surface of the brain motor cortex to pick up electrical signals that would be transferred to a hand device that enhanced controlled motor function. The study was successful, where ultimately, the individual was able to better use his hand to pick up items and to drive an automobile with his thoughts, which was truly amazing.
Currently, neuromodulation and brain computer interface work remain very exciting areas of research including new approaches for improving functional outcomes. In 2023, Miami Project investigators received a Department of Defense funding award to evaluate neuromodulation approaches targeting upper extremity function, lower extremity including standing and walking as well as vagal nerve stimulation to target abnormal blood pressure and glucose regulation. These studies are currently active, and research and subjects are being recruited to determine potential benefits of these different types of neuromodulations for specific needs.
In 2023, Neuralink Corp. announced that their first brain computer interface subject had been implanted using a very sophisticated implant device that would allow the individual to directly interact with phone or computer or video game by only thinking about the

Research participant undergoing multiple simultaneous electrophysiology measurements
action. In January 2025, Neuralink announced that The Miami Project and the Department of Neurological Surgery would be the second U.S. site to recruit both SCI and amyotrophic lateral sclerosis (ALS) patients to participate. The PRIME study is an investigational medical device clinical trial to assess early feasibility, safety and functionality of thought control as a tool for performing functional activities lost after SCI. This exciting technology program has implanted 2 SCI and 1 SCI subject and is led by our neurological surgery colleagues including Drs. Allan Levi, Jonathan Jagid and Michael Ivan. It is hoped that this technology will be used to also improve motor and sensory function in patients leading to enhanced quality of life.
Rehabilitation research at the Miller School of Medicine has made substantial advancements in discovering and testing exciting technologies leading to improvements in function and quality of life in people living with a range of disabilities from neurotrauma, stroke, and developmental and neurodegenerative diseases. Today the Christine E. Lynn Rehabilitation Center is ranked among the top 3% of hospitals in the nation according to US News and World Report and the top Rehabilitation Hospital in the State of Florida by Newsweek. The Oneness program with the Miller School of Medicine and Jackson Memorial Hospital is developing shared agreements making it easier for University of Miami faculty and staff to recruit Jackson Health System patients into their clinical trials. New collaborations, including those with our industry partners, continue to be tested in collaboration among Lynn Center researchers. The future is bright, and together we are each enhancing our multidisciplinary team-science neural rehabilitation efforts.

The renowned Miami Project researcher devoted his career to helping people with spinal cord injuries and will become a Miller School of Medicine emeritus professor.
After more than four decades of impactful work improving the lives of people living with spinal cord injuries (SCI), Mark S. Nash, Ph.D., founding principal investigator and associate scientific director for research at The Miami Project to Cure Paralysis, has announced his retirement.
In his “retirement,” Dr. Nash, also vice chair for research in the Department of Physical Medicine and Rehabilitation and professor of neurological surgery, physical medicine and physical therapy at the University of Miami Miller School of Medicine, will become an emeritus professor in the Miller School’s Department of Neurological Surgery and assume the presidency of the American Spinal Injury Association, for which he has served two terms on the Board of Directors and as chair of the organization’s Research and Awards Committee.
“Mark’s contributions to the field of spinal cord injury research are unparalleled,” said W. Dalton Dietrich, Ph.D., scientific director of The Miami Project, the Kinetic Concepts Distinguished Chair in Neurosurgery, senior associate dean for team science and professor of neurological surgery at the Miller School. “He’s a collegial colleague who is responsible for so many advances that have impacted people living with spinal cord injuries. Everyone at The Miami Project and the Miller School thanks him for his distinguished work and dedication to our mission.”


Dr. Nash came to the University of Miami following his final year of training as a doctoral fellow in rehabilitation of ischemic heart diseases. Hired by distinguished Miller School neurosurgeon Barth Green, M.D., he joined the medical school faculty in 1984 and soon garnered international acclaim for his preclinical and clinical spinal cord injury research, including investigations targeting quality-of-life issues faced by people living with paralysis. He has published influential work on the impact of bone loss and muscle atrophy, immune dysfunction, cardiovascular disease, obesity and diabetes on people with spinal cord injuries and offered seminal observations on targeted exercise and neuromodulation approaches for people living with disabilities.



A Fellow of the American College of Sports Medicine and the American Spinal Injury Association, and chair of the Clinical Practice Guideline Panel on Cardiometabolic Diseases for the Paralyzed Veterans of America, Dr. Nash’s work on cardiometabolic risk factors has resulted in important recommendations for designing, delivering and evaluating exercise interventions for people living with SCI. Dr. Nash has also championed the importance of nutrition in improving wellness. His rigorous studies assessing metabolic and cardiovascular consequences of varied nutrition regimens have improved the health of his research subjects and the SCI community.
“Dr. Nash is a nationally lauded researcher who has made a significant impact on the way we treat patients with spinal cord injuries,” said Leslie Morse, D.O.,
professor and chair of the Department of Physical Medicine and Rehabilitation at the Miller School. “His relentless focus on improving the long-term health of people living with SCI has resulted in less pain and improved quality of life for so many people.”
Dr. Nash’s research has been supported by the American College of Sports Medicine Foundation, the state of Florida, the U.S. Department of Defense, the U.S. Department of Health and Human Services, the National Institute of Disability and Rehabilitation Research and the National Institutes of Health. He has published 34 book chapters and research reviews and 142 peer-reviewed articles in high-impact journals. With an h-factor of 62, Dr. Nash has been cited more than 10,000 times by peers over the course of his notable academic career.
Dr. Nash is an exceedingly generous educator and mentor who has shared his knowledge with undergraduate and graduate students, postdoctoral fellows, medical students, residents and junior faculty. His lengthy list of professional accomplishments and honors include being named co-director of the National Institute on Disability, Independent Living, and Rehabilitation Research (South Florida SCI Model System), chair of the Consortium for Spinal Cord Medicine Guideline Panel on Cardioendocrine Disease and recipient of the Board of Governors of the American Congress of Rehabilitation Medicine’s John Stanley Coulter Award for his lifetime contributions to the field of rehabilitation.
“Dr. Mark Nash—not only my respected colleague but my valued mentor—stands tall among a handful of individuals whose leadership, genius, limitless energy and creativity launched and developed the number one spinal cord injury and neuroscience research center in the world, The Miami Project to Cure Paralysis,” said Dr. Green, also chair of The Miami Project. “Mark was one of the first scientists who recognized the importance of a holistic approach, including nutrition and wellness, as an integral component of our strategy to repair the nervous system and restore function and, most importantly, quality of life.”

th
Title Sponsor: The DiMare Family and the Paul J. DiMare Foundation
Presenting Sponsors: Tudor Group and The Mack Family to benefit The Buoniconti Fund

More than 900 distinguished supporters from the worlds of sports, entertainment, business, philanthropy, medicine, and community leadership celebrated the 40th Anniversary of both the Great Sports Legends Dinner and the founding of The Miami Project to Cure Paralysis in New York City on Monday, September 29th
The dinner benefited The Buoniconti Fund to Cure Paralysis, the fundraising arm of The Miami Project to Cure Paralysis, a designated Center of Excellence at the University of Miami’s Miller School of Medicine. Several million dollars were raised to support this leading global research center conducting cutting-edge discovery, translational and clinical investigations in traumatic spinal cord and brain injury, peripheral nerve injury, and neurological diseases and disorders, including Alzheimer’s, Parkinson’s, ALS, Multiple Sclerosis, and stroke.
The 2025 Great Sports Legends were:
• Albert Pujols, two-time World Series Champion
• Dominique Wilkins, NBA Hall of Famer and NBA 75th Anniversary Team member


• Warren Moon, NFL Hall of Famer, Canadian Football Hall of Famer
• Dwight Howard, NBA Champion, 2025 Basketball Hall of Famer
• Thurman Thomas, NFL Hall of Fame running back
• Kurt Busch, 2026 NASCAR Hall of Fame inductee
• Jeremy Roenick, NHL Hall of Famer, ninetime NHL All-Star
• Apolo Ohno, Eight-time Olympic speedskating medalist and Olympic Hall of Famer
• Michelle Wie West, 2014 U.S. Women’s Open Golf Champion
• Frankie Dettori, QIPCO British Champions Series Hall of Fame member
Dr. Barth Green, co-founder and chairman of The Miami Project, received the 2025 Buoniconti Fund Award, and legendary investor and business icon Mario Gabelli received The Buoniconti Fund’s 2025 Outstanding Philanthropist Award.
Foreigner, 2024 Rock and Roll Hall of Fame inductees performed. Nine-time Grammy Award winner and Presidential Medal of Freedom honoree Gloria Estefan, and Bob Costas, 28-time Emmy winning broadcaster served as event emcees.
Title sponsors were the DiMare Family, including Swanee, Tony and Scott DiMare, and the Paul J. DiMare Foundation, who announced a donation of $3.1 million to The Buoniconti Fund, in honor of family patriarch Paul, to launch an innovative clinical trial for ALS.
Presenting sponsors were Tudor Group and the Mack Family. Buoniconti Fund Board Member Christine E. Lynn, donated $500,000 in honor of Marc Buoniconti. Mark Dalton was event chairman, and co-chairs were Reed Mack and Richard Gray. Gloria and Emilio Estefan donated $40,000 in honor of the 40th Anniversary of The Miami Project, the Great Sports Legends Dinner, and her hit song Conga.


































Saturday January 24, 2026
National Polo Center Wellington, Florida
Chairman: Tim Gannon

Co-Chairs: Diana Morrison and Victoria Ranger Nunez

New York City

Chairman: Mark Dalton
Co-Chairs: Reed Mack and Richard Gray Pay
Polo Match & Gala to benefit The Buoniconti Fund held at the National Polo Center


The 3rd Annual Equestrian Legends Celebrity Polo Match & Gala to benefit The Buoniconti Fund to Cure Paralysis at the National Polo Center was held on January 25 at the National Polo Center in Wellington, Florida. Polo legend Nacho Figueras and internationally prominent equestrian Delfina Blaquier served as honorary chairs of the event, which featured a celebrity polo match, and a world-class demonstration of Show Jumping and Dressage from Olympic and World Champions in those disciplines, a cocktail reception and gala meal, an awards ceremony, and high-end live and silent auctions.
Buoniconti Fund Board Members and Event Chairs were Tim Gannon, co-founder of Outback Steakhouse, and businesswomen and philanthropists Victoria Ranger Nunez and Diana Morrison

Cody Offen announced the equestrian show. Polo players included Michael Armour, Dana Barnes, Lucas Escobar, Salvatore Ferragamo, Lidia Gauss, Chris Gannon, Steven Orthwein, and Kingsley Ward Jumpers included Todd Minikus, Riley Delbecq, and Trent McGee, and dressage was performed by Jan Ebeling and Ann Romney
The Celebrity Polo Match & Gala started with a world-class equestrian demonstration from Olympic and World Champions in the disciplines of Show Jumping, Dressage and Polo on the immaculate National Polo Center’s grounds. A spectacular cocktail reception followed on the terrace with a silent auction that included unique one-of-a-kind items. The adjoining pavilion played host to an exquisite dinner with specialty Penfolds wine pairings and Salvatore Ferragamo was presented with The Buoniconti Fund’s Outstanding Philanthropist Award. An amazing live auction included a Buoniconti Fund Sports Spectacular with a VIP experience at the 40th Anniversary of the Great Sports Legends Dinner in New York City and a foursome at The Buoniconti Fund’s Celebrity Golf Invitational with Jack Nicklaus, a Penfolds Grange Experience in Napa Valley for eight, and a spectacular 14 karat White Gold Natural Diamond Riviera Necklace donated by Tibor Stern Diamonds. Marc Buoniconti, President of The Buoniconti Fund and The Miami Project to Cure Paralysis shared inspiring words
about the great scientific achievements at The Miami Project Valentino served as the evening’s Fashion Sponsor. The event concluded with live music from Groove Republik by Manolo Puerto, dancing and dessert on the terrace.
A special thank you to: Polo Team Sponsors Concord Equity Group | Dana Barnes, Lidia Gauss
Curtis and Dawn Pilot and Kingsley Ward. Polo Sponsors Mark Dalton, Tim Gannon, Christine E. Lynn, Reed Mack and Family, Diana Morrison and Itchko Ezratti, Victoria Ranger Nuñez and Michael Nuñez and David and Tuni Page. Sponsors included Tina Rading Alva and Sandeep Alva, Louise and Red Armour, Bainbridge | Richard Schechter, Ronald Book, Marc and Cynthia Buoniconti, Teresa Buoniconti, Rick Campbell, Five Rings Farm | Zacharie Vinios, Richard Gray, Ambassador Alfred and Dawn Hoffman, Dawn and Tommy Lee Jones, E. M. Lynn Foundation | Christine E. Lynn, The Misner Foundation for Spinal Cord Research | Keith Misner, National Polo Center, New School Wellington & Related Ross, Nicholas Martini Foundation, North Star Sport Horse, LLC | Louis Jacobs, Paraquad | Ginny Orthwein, Penfolds | Charlotte Rawa, William G. Scaggs Family Foundation, USPA Global Licensing | Michael J. Prince and University of Miami Medical Development.



















The 23rd Annual Buoniconti Fund Celebrity Golf Invitational, hosted by legendary Jack Nicklaus, marks another remarkable milestone in the world of charitable fundraising. This year’s event took place on April 28th, bringing together a diverse array of golfers, celebrities and business leaders dedicated to finding a cure for paralysis and other neurological conditions.
Since its inception, The Buoniconti Fund Celebrity Golf Invitational has raised millions of dollars for the spinal cord and brain injury research programs at The Miami Project to Cure Paralysis, at the University of Miami Miller School of Medicine. The Buoniconti Fund extends heartfelt gratitude to Tudor Group, Mark Dalton, and Barbara and Jack Nicklaus for their unwavering support of this vital cause and fundraising event.




“Jack, Barbara and their entire family have been so gracious each year to open the doors to us at their home, the Bear’s Club and each year our celebrity friends and supporters come from all over to help us Stand Up for Those Who Can’t. Each year their support helps us get closer to the cures that can help all our friends living with paralysis and other neurological conditions, ” said Marc Buoniconti, president of The Buoniconti Fund.
Golfers and celebrities at the 2025 Buoniconti Fund Celebrity Golf Invitational included: former Miami Dolphins Receiver Fred Banks, 1972 Olympic Long Jump Gold Medalist Bob Beamon, Former Chicago Bears and Miami Dolphins Receiver Marty Booker, Super Bowl Champion kicker from the Chicago Bears Kevin Butler, NFL Hall of Famer from the New York Giants and Buoniconti Fund Board Member Harry Carson, Two-Time All Star MLB Pitcher with the Washington Nationals and New York Yankees Tyler Clippard, Miami Dolphins Legend Jeff Dellenbach, Olympic Two-Time Gold Medalist Swimmer Donna de Varona, Former Miami Dolphins player Troy Drayton, Pitched a No-Hitter and was a World Series Champion with the Minnesota Twins Scott Erickson, Captain from the 1980 USA Olympics Gold Medal winning “Miracle on Ice” Team Mike Eruzione, Past Legend Honoree and 10-time Olympic Medalist in Swimming, including 5 Golds Gary Hall, Jr., Former Safety with the Seattle Seahawks John Harris, Former Miami Dolphins Punter John Kidd, Former Atlanta Falcons and Dallas Cowboys receiver Laurent Robinson, National Champion with the Miami Hurricanes and former Jaguars player Brett Romberg, Redskins Superbowl MVP Quarterback Mark Rypien, Award winning actor from Gardens of Stone, No Man’s Land, and Eight Men Out DB Sweeney, Actor who performed on Dancing with the Stars, All My Children and Mindcage Aiden Turner, Hall Of Fame Broadcaster Lesley Visser, Two-Time Super Bowl Champion with the New England Patriots and a National Champion with the Miami Hurricanes Vince Wilfork and the Greatest Golfer who has ever lived Jack Nicklaus.







Established in 1992, The Buoniconti Fund’s Chapters play a crucial role in advancing the research efforts at The Miami Project. Each Chapter is led by dedicated volunteer regional directors and consists of committed volunteers who work tirelessly to support local events and spread awareness about The Miami Project’s groundbreaking research and hopeful message.
The bond that Marc Buoniconti has with his football teammates and members of F-Troop from The Citadel is like no other. Each year, the Annual Tailgate brings these individuals together for a weekend of fun, reminiscing, philanthropy and so much more. Hosted by the Barnes Family, each year this event becomes larger not only in attendance but by raising additional funds and awareness.
Mark Your Calendar for this year’s event, November 15, 2025!
The MIAMI CHAPTER recently celebrated the highly anticipated return of Corks & Forks—an elegant evening of wine, hors d’oeuvres, and heartfelt giving. Held at the scenic Shake-ALeg Miami in Coconut Grove, the event offered guests a beautiful waterfront setting overlooking Biscayne Bay.

Supporters gathered to enjoy an unforgettable night featuring delicious cuisine, refreshing beverages, and meaningful conversations—all with a shared goal: raising awareness and support for spinal cord injury research.


The atmosphere was vibrant and welcoming, reflecting the strong sense of community among friends, advocates, and philanthropists. The evening underscored the Miami Chapter’s unwavering commitment to advancing The Buoniconti Fund’s mission—a future without paralysis. Corks & Forks continues to be a powerful reminder that when a community comes together, hope and progress are always on the menu.
INDIANAPOLIS’ Annual Trivia Night – April 2025
Are you a fan of trivia? Members of the Indianapolis Chapter held their annual Trivia Night bringing folks together for a fun night led by Volunteer Regional Director Doug Woodwell and the local committee. Stay tuned for our next event!


The NAPLES Chapter hosted its 4th Annual Naples Golf Invitational on May 22nd. The tournament was presented by Gulf Western and held at the Bear’s Paw Country Club. The event drew its largest group of golfers to date and raised almost $80,000. The tournament has quickly become an important tradition for the chapter, helping to grow awareness and support along Florida’s west coast. Much of its success is thanks to the efforts of the organizing committee—Nick Stefanis, Joe Lamb, Keith Reece, Paula Mesa, and Valerie Gonzalez. The Miami Project extends sincere appreciation to everyone who made the day possible.
Every day, people living with paralysis and neurological disorders face extraordinary challenges. But together, we can bring hope, progress, and independence back into their lives.
Join a local Buoniconti Fund Volunteer Chapter—or start one in your community! Our Chapters are powered by passionate volunteers who give their time, energy, and expertise to drive meaningful change.
When you get involved, you help fund life-changing research and therapies for paralysis, traumatic brain injury, Alzheimer’s, Parkinson’s, ALS, multiple sclerosis, stroke, and more.

On August 17th, more than 140 golfers gathered at Stonehedge Golf Course in Tunkhannock, PA, for the 27th Annual Kevin Kitchnefsky Golf Tournament. Over the years, Kevin’s efforts have raised nearly $1 million to advance spinal cord injury research and to fund grants that improve quality of life for people in Pennsylvania living with paralysis. Kevin’s journey began in 1996, when a workplace accident left him paralyzed. Just three years later, he transformed personal tragedy into purpose, launching his first golf tournament to support The Miami Project’s mission. Today, with the dedication of Kevin, his wife Yvonne, family, and friends, the tournament stands as a remarkable tradition of resilience and community impact. The Miami Project is deeply grateful to Kevin, the Kitchnefsky family and all who continue to drive this vision forward.

Palermo Spinal Injury Golf Tournament. What began with $11,000 has now become one of Western New York’s largest tournaments, raising more than $2 million over 29 years for both the local community and The Miami Project’s research. On August 2nd, more than 200 golfers gathered at Terry Hills Golf Course in Batavia, NY.
The momentum continues with a comedy night in New York City on September 28th featuring Peter Correale and Moody McCarthy. The Miami Project extends heartfelt thanks to Ricky, the Palermo family, and the Batavia community for helping move us closer to a cure.
Few partnerships embody the word family quite like the bond between The Miami Project and the Palermo family. From the very beginning, Ricky Palermo has been part of our story—as one of our first research participants, and as the inspiration behind a movement that continues to grow. His niece Annie even became an investigator at The Miami Project, determined to help her uncle and others living with paralysis.
Ricky’s life changed in 1996 after a car accident left him paralyzed at age 21. That same year, with the help of family and friends, he launched the first Ricky


Hall of Fame Drag Racer Darrell Gwynn Gathered NASCAR Legends for Charity Fishing Tournament and Donated a $25,000 Wheelchair to a Spinal Cord Injured Girl
NASCAR Driver Kyle Larson led his team to first place honors with a three-fish total of 8.19 pounds at this year’s Hot Rods & Reels Charity Fishing Tournament to benefit The Darrell Gwynn Chapter of The Buoniconti Fund to Cure Paralysis on February 14th. NASCAR drivers and Legends convened this morning on Lake Lloyd at Daytona International Speedway for the annual charity fishing event that kicks off the racing season.Joining Larson for the event were Donnie Allison, Christopher Bell, David Blaney, Chris Buescher who came in 3rd, Chase Briscoe, Richard Childress, Cole Custer, Ty Dillon, Noah Gragson, Brad Keselowski whose daughter Scarlett had the 2nd largest fish also came in 2nd overall, Michael McDowell, Max Papis, Lane Riggs, Zane Smith, Martin Truex, Jr., Crew Chief Adam Stevens, and NASCAR Commentator Jeff Hammond served as event emcee.




The largest fish, weighing 4.58 pounds was caught by Larson’s son Owen and made their team eligible to try to win the NASCAR Foundation Million Dollar Challenge. There were specially marked envelopes that allowed the winner a chance to win a million dollars. Unfortunately, they did not open the lucky envelopes, but it was an exciting moment for all in attendance.
“Year after year so many drivers and supporters answer my call and I am eternally grateful. We look forward to being the event that kicks off the NASCAR season and change a life by giving a new state-of-the-art wheelchair to a young woman from Orlando who was paralyzed,” said Darrell Gwynn.
Hot Rods & Reels Charity Fishing Tournament annually benefits The Darrell Gwynn Quality of Life Chapter of The Buoniconti Fund to Cure Paralysis. This year Darrell again donated a $25,000 custom wheelchair to a spinal cord injured woman from Orlando. The wheelchair will allow her to continue her rehabilitation and be more active.
Event sponsors included: Daytona International Speedway, Bass Pro Shops, Bass Online, Scherr Family Fund who donated the custom wheelchair, DMR, Environmental Construction, Dobbs Equipment, NASCAR, NASCAR Foundation and Stanley Black and Decker.











More than 120 golf enthusiasts teed off for a great cause at this year’s Red Door Classic, a beloved annual tournament that continues to blend philanthropy with fun. Hosted at the scenic Miami Shores Country Club, the event once again lived up to its reputation as one of South Florida’s most fun charity golf tournaments.
Since its founding in 2015, the Red Door Classic has raised nearly $500,000 for local and regional charities, making it not just a day of sport, but a powerful force for good.
This year’s tournament benefited three impactful causes, The Miami Chapter of the Buoniconti Fund, advancing groundbreaking research to cure paralysis caused by spinal cord injuries. First Generation scholarships at Florida International University (FIU), helping students become the first in their families to attend college. Leadership education grants for members of Sigma Phi Epsilon at FIU.
Organized by the Thomas B. Jelke Foundation, in partnership with FIU Sigma Phi Epsilon Alumni, and with generous support from Mark Marandino and Associates as the presenting sponsor, the event brought the community together through a competitive spirit and a shared mission to give back.
Mark your calendars: the next Red Door Classic will be held on March 6th, 2026. Don’t miss your chance to enjoy an unforgettable day on the greens while supporting transformative local initiatives.
To learn more or reserve your spot, please email tjelke@gmail.com



Show Top: Golfers and volunteers at the Red Door reception following the tournament. Bottom: Marc Buoniconti addresses the crowd with Tom and Rebecca Jelke.
The stakes were raised for the 20th Anniversary Poker4Life Charity Poker Championship, which was held June 18th at the dazzling Town Hall by Skylight in New York City, which was truly spectacular. Actor Mark Feuerstein sent a video commemorating the milestone ending with the traditional, “Shuffle up and deal” and then the cards flipped, chips clinked, and hearts soared as supporters gathered to rally behind hosts Poker4Life and The Buoniconti Fund in support of advancing paralysis research at The Miami Project to Cure Paralysis.
An ovation goes out to the entire Poker4Life crew, with special recognition for Jeremy Schwartz, Ethan Ruby, and the tireless volunteers whose dedication shines brighter with every passing year. None of this would be possible without our incredible guests, loyal backers, and generous sponsors, thank you for making magic happen year after year. Special thanks to Cavu Securities, the Ruby Family, Jewelry on 5th, WTEC Energy, Tom and Patty Cope, Eric Muhlrad/ Remee, ExtensisHR, Webster Bank and Chimera Securities
Let’s give a standing ovation to our 2025 Champion, Joseph Umdenstock, and the formidable contenders at the final table, who outlasted the field to represent Poker4Life in Las Vegas at this year’s World Series of Poker. The excitement didn’t end there—the 2025 “All-In” Award recipient, Paul Rosolie, was celebrated for his commitment and contributions. Every hand played, every chip raised, and every smile shared has brought us closer to breakthroughs that will change lives.
Thanks to the enduring enthusiasm of the Poker4Life community, millions have been raised over two decades, fueling hope, innovation, and progress. The Buoniconti Fund is deeply grateful for the unwavering support—the journey continues!
Mark your calendars: The 21st Annual Poker4Life™ Charity Poker Championship is set for late Spring or early Summer 2026, promising even more thrills, camaraderie, and cause-driven competition. Get ready to celebrate in true Poker4Life style!
Founded in 2005 by Ethan Ruby and Jeremy Schwartz, Poker4Life sprang from humble beginnings at Manhattan’s Park Avenue Country Club. Their mission was bold: harness the Positive Power of Poker to champion charitable giving. Today, Poker4Life is a vibrant forum where professionals, celebrities, and passionate everyday players unite around the felt to support causes close to their hearts— while indulging in the game they love.



The Buoniconti Fund is honored to be Poker4Life’s charity of choice, and we look forward to countless hands, countless smiles, and countless victories for good in the years ahead.



