7th Annual
D’Ambrosia Orthopedic Symposium
presented by the Department of Orthopedics & the Colorado Program for Musculoskeletal Research

Elliman Conference Center
Anschutz Health Sciences Building
University of Colorado Anschutz 22
tap video icon to connect via ZOOM

tap arrows to jump to specific pages of this program
9:00am - 10:00am
Check-in | Breakfast | Poster Setup
& Opening Remarks
10:00am - 10:10am
Evalina Burger, MD

10:10am - 11:10am
Trainee Plenary Session
Moderator | Emily Lindley, PhD

Poster Session One Odd Numbered Posters 11:10am - 12:10pm

Lunch Break Additional Poster Viewing 12:10pm - 1:00pm
1:00pm - 1:30pm
Faculty Plenary Session
Moderator | Michael Zuscik, PhD

1:30pm - 2:25pm
Mack Clayton Scientific Keynote Presentation
Introduced by Jason Stone
2:25pm Group Photo

3:30pm - 4:00pm
Access and Engagement Panel Discussion
Moderator |
Michelle Wolcott, MD
Panelists | Fraser Leversedge, MD
Evalina Burger, MD
Leah Brown, MD
Joseph R Hsu, MD
2:30pm - 3:30pm
Poster Session Two
Even Numbered Posters

Awards Presentation & Closing Remarks
Presented by Karin Payne, PhD
5:00pm - 5:15pm 5:15pm - 6:30pm D’Ambrosia Reception
1:30pm - 2:25pm
Introduced by Jason Stoneback, MD
Department of Orthopedics & Colorado Program for Musculoskeletal Research
7th Annual D’Ambrosia Orthopedic Symposium
Mack ClaytonScientific Keynote

Is Patient-centered Care Possible in Nonunion Surgery?: The Outpatient Nonunion Pathway ONPath
Joseph R. Hsu, MD
Professor | Department of Orthopaedic Surgery
Atrium Health Musculoskeletal Institute

Dr Hsu is Vice Chair for Quality, Associate Dean for Research at Wake Forest School of Medicine, and a Professor in the Department of Orthopaedic Surgery at Atrium Health Musculoskeletal Institute. He has over ten years of experience as an orthopaedic traumatologist.
He completed his bachelor’s degree at West Point, followed by medical school and residency at Tulane University School of Medicine, and a fellowship in trauma His clinical expertise includes surgical interventions, limb salvage, orthopaedic infections, and perioperative pain management
Dr. Hsu’s current research interests focus on lower extremity disability, multimodal pain management strategies, and decision support-guided clinical pathways. He has published extensively in the fields of orthopaedic trauma, opioid prescribing safety, and clinical decision support, and has contributed to national and international clinical consortiums
He has extensive experience in both military and civilian settings developing and implementing clinical practice guidelines. His work includes contributions to guidelines for compartment syndrome, pelvic fractures, and irrigation of open injuries for the Joint Theater Trauma System. He is currently involved in guideline development for the American Academy of Orthopaedic Surgeons and the Orthopaedic Trauma Association.
Dr Hsu is also Principal Investigator, alongside Dr Seymour, on PRIMUM—a CDC-funded, system-wide computerized decision support intervention focused on prescription opioids and benzodiazepines
Agenda, Sessions & Keynote Presentations
4:00pm - 4:55pm
Introduced by Michelle Wolcott, MD
Department of Orthopedics & Colorado Program for Musculoskeletal Research
7th Annual D’Ambrosia Orthopedic Symposium
D’Ambrosia Keynote

Why humanity, inclusion, and physician leadership are the priority solutions to our healthcare delivery failures
Leah Brown, MD
Associate Professor | Clinical
Department of Orthopaedics
University of Texas Health Science Center | San Antonio

Leah Brown, M.D., is a board-certified, fellowship trained orthopaedic surgeon specializing in sports medicine and treatment of the knee, shoulder and elbow She is an associate professor with the University of Texas Health Science Center at San Antonio and is the newly appointed head team orthopaedic surgeon for the NBA San Antonio Spurs She was previously with the Banner Sports Medicine/University of Arizona College of Medicine and the head team orthopaedic surgeon for the WNBA Phoenix Mercury and assistant team orthopaedic surgeon for the NBA Phoenix Suns. She received her Bachelor of Science in genetics from the University of Georgia where she was a 14-time NCAA All-American, a two-time NCAA National Gymnastics Champion and was inducted into the University of Georgia’s prestigious Circle of Honor in 2016 After completing her undergraduate work, she earned a Doctor of Medicine degree at The Ohio State University and The Cleveland Clinic Foundation on a full US Navy Health Professionals Scholarship followed by a Surgery internship at the Naval Medical Center San Diego.
Dr. Brown served for two years as a Battalion Surgeon (General Medical Officer) at Marine Corps Base Camp Pendleton In 2006, she deployed to Iraq in support of Operation Iraqi Freedom, where she served as the Medical Aid Station Director for Combat Logistics Battalion-5 Dr Brown completed a four-year residency in the Department of Orthopaedic Surgery at Naval Medical Center San Diego and subsequently joined the Center’s Department of Orthopaedic Surgery as a faculty orthopaedic surgeon. Her next assignment was as a faculty orthopaedic surgeon at Naval Hospital Bremerton in Bremerton, Washington. In 2012, Dr. Brown was deployed to Afghanistan as a part of Operation Enduring Freedom, where she served as Orthopaedic Surgery Department Head directly supporting the Combined Joint Special Operations Task Force led by SEAL Team 4 She is the recipient of many military honors and awards, including the Bronze Star, Meritorious Service Medal and Navy Commendation Medals She continues her military service as a Captain (O-6) in the US Navy Reserves
Dr. Brown is fellowship trained in sports medicine and shoulder & elbow, completing her fellowship at OrthoCarolina in Charlotte, North Carolina. During her fellowship, she was an assistant team physician for the 2016 NFC Champions, Carolina Panthers and athletic departments for University of North Carolina in Charlotte and Davidson College in Davidson, North Carolina She is an NFL orthopaedic consultant and has served roles as Head Team Orthopaedic Surgeon for the WNBA Phoenix Mercury, Assistant Team Orthopaedic Surgeon, NBA Phoenix Suns, and an official orthopaedic consultant for Arizona State University.
Dr. Brown is a Diplomate with the American Board of Orthopaedic Surgery, a Fellow with the American Academy of Orthopaedic Surgery, a Member of the American Orthopaedic Society for Sports Medicine and Arthroscopy Association of North America and is on the board of The Forum She is also an official medical volunteer and consultant for the United States Olympic and Paralympic Committee Dr Brown has previously served as a Department of Surgery Chair, Quality Committee Chair and on multiple medical executive boards. She has faculty appointments with Arizona State University and the University of Arizona.
Dr. Brown was born and raised in Atlanta, Georgia. She is a dedicated advocate and mentor for students and young professionals She is a University of Georgia Foundation Trustee, a founding member of Georgia Women Give, and serves on the UGA Athletic Association Board She had the honor of delivering the 2023 UGA Spring Undergraduate Commencement Address In her free time, she enjoys engaging in her philanthropic passions and cheering for the Georgia Bulldogs with her husband and twin children.
D’Ambrosia Keynote
Agenda, Sessions & Keynote Presentations
3:30 pm - 4:00 pm
Moderator | Michelle Wolcott, MD
Department of Orthopedics & Colorado Program for Musculoskeletal Research
7th Annual D’Ambrosia Orthopedic Symposium
Access & Engagement Panel Discussion
Trailblazers Paving The Way
Join an inspiring conversation with leading orthopedic surgeons who are shaping the future of the field.
Panelists Fraser Leversedge, MD, Evalina Burger, MD, Joseph Hsu, MD, and Leah Brown, MD will share their journeys, challenges, and strategies for driving innovation and leadership in orthopedics.
This dynamic session will offer valuable insights into overcoming barriers, fostering diversity, and paving new paths for the next generation of trailblazers.
Agenda, Sessions & Keynote Presentations

Michelle Wolcott, MD
Moderator
Dr. Wolcott is a board-certified orthopedic surgeon who is fellowshiptrained in sports medicine, with expertise in the treatment of complex knee, ankle, and shoulder problems. An active marathon runner, she also has a special interest in runner's injuries, pediatric sports medicine, and women's sports medicine She has developed techniques in the diagnosis and treatment of exertional leg pain in athletes and serves as the Practice Director for CU Sports Medicine in Denver.
Dr. Wolcott trained at Georgetown University for medical school and did her residency at Loyola University where she was honored with the prestigious senior resident research award She was also selected to participate in the Schwartz traveling fellowship where she studied advanced techniques in the surgical treatment of lower extremity sports injuries in Australia and New Zealand. She did her sports medicine fellowship at the University of Iowa where she was responsible for the coordination and care of the football, basketball and wrestling teams
Since 2003, she has been the team physician for the University of Colorado basketball teams, University of Denver gymnastics and basketball teams, Colorado Mammoth, and Denver Nuggets, and serves as co-medical director for Colorado Rapids youth soccer league
Dr. Wolcott is an Associate Professor at the CU School of Medicine and supervises the fellows, residents, and medical students in the Department of Orthopedics. She participates in an extensive list of research projects and has published numerous articles on the care and treatment of complex knee and ankle injuries, including cartilage, ligamentous, and chronic issues in professional and recreational athletes Her areas of expertise include ACL reconstruction, realignment/osteotomy surgery, meniscus surgery, ankle instability, cartilage restoration procedures, compartment syndrome release/fasciotomy, and rotator cuff repair.
Dr. Wolcott is passionate about the total care of the athlete and has dedicated her free time to promoting advocacy in sports She has pioneered awareness and education of physician leaders in recognizing and preventing abuse of athletes and continues to work in this evolving area She spends the rest of her time with her two children and their numerous hobbies and interests

Fraser Leversedge, MD
Panelist
Dr Leversedge is Professor and Chief of the Section of Hand, Wrist, and Elbow Surgery in the Department of Orthopedic Surgery at the University of Colorado He is Associate Director of the Hand and Upper Extremity Surgery Fellowship and is the CoDirector of the multi-specialty Brachial Plexus and Peripheral Nerve Injury Program.
Dr Leversedge has clinical and research interests in peripheral nerve injury and repair, tendon injury and reconstruction, and wrist reconstruction Dr Leversedge was Director of the Hand, Upper Extremity, and Microvascular Surgery Fellowship and ViceChair, Education in the Department of Orthopaedic Surgery at Duke University from 2009-2020 and prior to his move to North Carolina, he was in private practice for 8 years in Denver with Hand Surgery Associates
Dr Leversedge has served two terms on the Council for the American Society for Surgery of the Hand, including as Research Division Director, and has held several leadership positions in the AAOS, AOA, and ASSH Dr Leversedge has been an IOC site physician for two Olympic Games: 2004 – Athens (Men’s Basketball) and 2010 – Vancouver (Men’s Ice Hockey), and he has served as a consulting physician for numerous collegiate and professional sports teams.
Dr Leversedge grew up in Victoria, Canada, and attended Dartmouth College (Hanover, NH) and Dartmouth Medical School, before completing his Orthopaedic Surgery residency at Emory University and his Hand, Upper Extremity, and Microvascular Surgery fellowship at Washington University in St Louis. He and his wife Kimberly have just become “empty nesters”, but now enjoy traveling to keep up with and to visit their three daughters!

Evalina Burger, MD
Panelist
Dr Evalina Burger graduated medical school in South Africa at the University of the Free State with honors in General Surgery, Pediatrics and Psychiatry. She became the first woman to receive the Cornelius Wessels Medallion in Surgery. She continued her career and became a Captain in the South African Defense Force Medical Corp where she worked and acquired surgical skills in Orthopedics, treating injuries of war and land mine explosions She completed her internship in the Military Hospital before joining the Defense Force.
She completed her Orthopedic residency over the next six years, received the G F Dommisse Award for best resident and also won the prize for the Best Resident Research Paper at the University of Pretoria Following her residency, which included almost two years of spine training, she dedicated her career to spine surgery. She became the first female surgeon in South Africa to become an ABC Fellow and she traveled to North America and Canada in 2000 as a visiting professor to several large institutions
She was recruited to Louisiana State University in 2001 where she established an Adult Spine Unit In 2006, she was recruited to the University of Colorado Denver Anschutz Medical Campus where she propelled her career, she held several leadership positions including Chair of the Orthopedic Finance Committee, Executive Vice Chair and Vice Chair of Clinical Affairs for the Department of Orthopedics and established herself in the field of research She has international recognition for her work on the thermoplastic behavior of metal rods and also received the prestigious White Cloud Award with her research group, showing the advantages of disc replacement.
Dr Burger is currently a full Professor at the University of Colorado Department of Orthopedics and is the Chair of the Department She is the first recipient of the Robert D’Ambrosia Endowed Chair in Orthopedics She is the author of many peer-reviewed publications and has co-edited two textbooks: Spine Trauma Surgical Techniques ISBN 978-3-642-03693-4, and Spine Surgery Basics ISBN 978-3-642- 34125-0. She has dedicated her career to complex spine surgery with a passion for scoliosis surgery.

Leah Brown, MD
Panelist
Leah Brown, M.D., is a board-certified, fellowship trained orthopaedic surgeon specializing in sports medicine and treatment of the knee, shoulder and elbow She is an associate professor with the University of Texas Health Science Center at San Antonio and is the newly appointed head team orthopaedic surgeon for the NBA San Antonio Spurs. She was previously with the Banner Sports Medicine/University of Arizona College of Medicine and the head team orthopaedic surgeon for the WNBA Phoenix Mercury and assistant team orthopaedic surgeon for the NBA Phoenix Suns
She received her Bachelor of Science in genetics from the University of Georgia where she was a 14-time NCAA All-American, a two-time NCAA National Gymnastics Champion and was inducted into the University of Georgia’s prestigious Circle of Honor in 2016 After completing her undergraduate work, she earned a Doctor of Medicine degree at The Ohio State University and The Cleveland Clinic Foundation on a full US Navy Health Professionals Scholarship followed by a Surgery internship at the Naval Medical Center San Diego
Dr. Brown served for two years as a Battalion Surgeon (General Medical Officer) at Marine Corps Base Camp Pendleton. In 2006, she deployed to Iraq in support of Operation Iraqi Freedom, where she served as the Medical Aid Station Director for Combat Logistics Battalion-5 Dr Brown completed a four-year residency in the Department of Orthopaedic Surgery at Naval Medical Center San Diego and subsequently joined the Center’s Department of Orthopaedic Surgery as a faculty orthopaedic surgeon Her next assignment was as a faculty orthopaedic surgeon at Naval Hospital Bremerton in Bremerton, Washington. In 2012, Dr. Brown was deployed to Afghanistan as a part of Operation Enduring Freedom, where she served as Orthopaedic Surgery Department Head directly supporting the Combined Joint Special Operations Task Force led by SEAL Team 4 She is the recipient of many military honors and awards, including the Bronze Star, Meritorious Service Medal and Navy Commendation Medals She continues her military service as a Captain (O-6) in the US Navy Reserves
Dr Brown is fellowship trained in sports medicine and shoulder & elbow, completing her fellowship at OrthoCarolina in Charlotte, North Carolina During her fellowship, she was an assistant team physician for the 2016 NFC Champions, Carolina Panthers and athletic departments for University of North Carolina in Charlotte and Davidson College in Davidson, North Carolina. She is an NFL orthopaedic consultant and has served roles as Head Team Orthopaedic Surgeon for the WNBA Phoenix Mercury, Assistant Team Orthopaedic Surgeon, NBA Phoenix Suns, and an official orthopaedic consultant for Arizona State University
Dr Brown is a Diplomate with the American Board of Orthopaedic Surgery, a Fellow with the American Academy of Orthopaedic Surgery, a Member of the American Orthopaedic Society for Sports Medicine and Arthroscopy Association of North America and is on the board of The Forum. She is also an official medical volunteer and consultant for the United States Olympic and Paralympic Committee Dr Brown has previously served as a Department of Surgery Chair, Quality Committee Chair and on multiple medical executive boards She has faculty appointments with Arizona State University and the University of Arizona Dr Brown was born and raised in Atlanta, Georgia She is a dedicated advocate and mentor for students and young professionals. She is a University of Georgia Foundation Trustee, a founding member of Georgia Women Give, and serves on the UGA Athletic Association Board. She had the honor of delivering the 2023 UGA Spring Undergraduate Commencement Address In her free time, she enjoys engaging in her philanthropic passions and cheering for the Georgia Bulldogs with her husband and twin children

Joseph R. Hsu, MD Panelist
Dr. Hsu is Vice Chair for Quality, Associate Dean for Research, Wake Forest School of Medicine and a Professor in the Department of Orthopaedic Surgery at Atrium Health Musculoskeletal Institute at Atrium Health. Dr. Hsu has over ten years of experience as an orthopaedic traumatologist.
He completed his bachelor’s degree at West Point. He completed medical school and residency at Tulane University School of Medicine, as well as a fellowship in trauma. He has clinical expertise in surgical interventions, limb salvage, orthopaedic infections, and perioperative pain management.
Dr. Hsu’s current research interests are in lower extremity disability, multimodal pain management strategies, and decision support guided clinical pathways. He has many peer-reviewed publications in the field of orthopaedic trauma, opioid prescribing safety, and clinical decision support, and has experience working within clinical consortiums at a national and international level.
Dr Hsu has extensive experience in the military and civilian organizations with creating and implementing clinical practice guidelines. He has also participated in developing guidelines for the management of compartment syndrome, pelvis fractures, and irrigation of open injuries for the Joint Theater Trauma System and am currently involved in guideline development for the American Academy of Orthopaedic Surgeons and Orthopaedic Trauma Association He is currently Principal Investigator, with Dr Seymour, on CDC-funded system wide computerized decision support intervention related to prescription opioids and benzodiazepines, PRIMUM
Trainee Plenary
10:10am
Nina Carson, PT, DPT
The Paradox of Preoperative Activity: Who Improves Two Years After Total Knee Arthroplasty?
Co-Authors: Kristen Barton, Jacob Capin, Jeri Forster, Michael Dayton, Eliza Biondi, Elle Grupenhoff, Karl Wojnar, Michelle Rauzi, Cory Christiansen, Michael Bade
10:20am
Joshua Kniss, PT, DPT
10:30am
Yichi Chen, BS
Smartphone-Based Gait Analysis Identifies Deficits Among Adolescents With Concussion Compared to Healthy Controls
Co-Authors: Mathew Wingerson, Katherine Smulligan, Kelsie Richardson, Katelyn Hurlburt, Vipul Lugade, Julie Wilson, David Howell
Identifying Genes Associated with Intervertebral Disc Rupture using an Inbred Mouse Aging Panel
Co-Authors: John Sundberg, Gabrielle Dudek, Cheryl Ackert-Bicknell
10:40am
Nanxi Guo, MS
10:50am
Patrick Livingston, PhD NIH T32 Trainee
11:00am
Melissa Cuevas, MS
Spatial Transcriptomic Multi-View Representation Learning Reveals Cellular Niches in Human Ankle Synovium
Co-Authors: Michael David, Julia Matthias, Lluvia Mejia Tovar, Kenneth Hunt, Fan Zhang
Vascular Endothelial Growth Factor A mediates musculoskeletal wasting in cachexia induced by head and neck cancer
Co-Authors: Caleb Gammon, Nicholas Jamnick, Douglas Adams, Leah Novinger, Andrea Bonetto
KIF7 Auto-Inhibition Disruption Alters SHH Signaling in AIS Associated Variants
Co-Authors: Nancy Hadley-Miller, Qianbin He, Siera Rossi, Cambria Wethey, Anna Monley, Elizabeth Terhune
Agenda, Sessions & Keynote Presentations
Faculty Plenary
1:00pm
Nicholas Alfonso, MD
1:10pm Aubrey Armento, MD
Innovating Together: Partnerships in Medical Foam Research and Development
Co-Authors: Lynn Pezzanite, Steve Dow, Kirk C. McGilvray
The Menstrual Cycle among Adolescent Athletes: Implications for Cardiovascular and Bone Health
Co-Authors: Madison Brna, David Howell, Christine Swanson, and Wendy Kohrt
1:20pm Karin Payne, PhD
Cartilage Regeneration – from Pediatric Growth Plate Injuries to Osteoarthritis
Agenda, Sessions & Keynote Presentations

Posters
1
Charlotte Barton, BVetMed, MS
Mack Clayton Visiting Trainee Poster Award Finalist
Can 3D Printed Nanochon Implants Offer a Solution for Full Thickness Cartilage Lesions in an Equine Preclinical Model?
Co-Authors
Katie Seabaugh, Ben Gadomski, Kevin Labus, Ben Holmes, Nathan Castro, Mike Hawes, Brad Nelson, Laurie
Goodrich
2
Ashley Potter, BS

Mack Clayton Visiting Trainee Poster Award Finalist
Metabolic, Transcriptomic, Functional, and Histological Signatures of Inflammation After ACL Rupture in a Translational Model of PTOA
Co-Authors
Emily Van Zeeland, Lindsey Burton, Jeremiah Easley, Tara Nordgren, Katie Sikes

3
Alexander Stigall, BS
Mack Clayton Visiting Trainee Poster Award Finalist
Metabolite and Extracellular Matrix Protein Changes Associated with Murine Achilles Tendon Mechanical Overuse
Co-Authors
Anthony Saviola, Julie Haines, Hailey Brown, Devin Denkers, Emily Van Zeeland, Katie Sikes

4
Jacob Singer, BS
Mack Clayton Visiting Trainee Poster Award Finalist
Cellular Senescence Pathways are Upregulated in an Equine Preclinical Model of Aging-Related Osteoarthritis
Co-Authors
Lyndah Chow, Dylan Ammons, Isabella Sabino, Renata Impastato, Steven Dow, Lynn Pezzanite

Select poster presenters are highlighted throughout this section indicating their training pathway or program affiliation
Agenda, Sessions & Keynote Presentations

5
Jaiden Oropallo, BS
Mack Clayton Visiting Trainee Poster Award Finalist
A multi-vector approach to treating Post-Traumatic Osteoarthritis using scAAV2 IL-1ra/IGF-I in an equine preclinical model
Co-Authors
Parvathy Thampi, Jennifer Phillips, Myra Barrett, Kathryn Seabaugh, Lyndah Chow, Ann Hess, Lynn Pezzanite, Lester Suarez-Amaran, Constance Chu, C Wayne McIIwraith, Richard Jude Samulski, Brad Nelson, Laurie Goodrich


6
Yejoon Kim, MD
CU Orthopedic Resident
1 screw versus 2 Screw Posterior Pelvic Ring Fixation of Unilateral Unstable Pelvic Ring Injuries Does Not Increase the Rate of Fixation Failure or Additional Procedures
Co-Author Joshua Parry
7 Jack Schutz, MD
CU Orthopedic Resident
Injury Characteristics, Fixation Strategies & Clinical Outcomes of Interprosthetic Femur Fractures
Co-Authors
Mir Ibrahim Sajid, Olivia Rice, Colin Keith Cantrell, Adam Nasir, Nigel Blackwood, Byron Ward, Sean Higinbotham, Cyril Mauffrey, Clay Spitler, Mohamad K Shaath, Nicholas Alfonso, Hassan Riaz Mir


8
Nicholas Tucker, MD
CU Orthopedic Resident
The W-plate: a novel technique for fixation of unstable pelvic ring injuries
Co-Authors
Cyril Mauffrey, Guillaume David, Abramo Fratus, Brandi Krieg, Keenan Onodera
9
Eric Marty, MD
CU Orthopedic Resident
Use of Biplanar X-Ray Imaging to Identify Relationship of Spinopelvic Parameters to Patient Anthropometric Variables
Co-Authors
David Ou-Yang, Christopher Kleck, Renzo Laynes, Gabrielle Dudek, Yichi Chen, Cheryl Ackert-Bicknell, Jingdian Huang, Anna Sater
Posters
Agenda, Sessions & Keynote Presentations
10 Withdrawn
This poster has been withdrawn and will not be presented at the symposium
11
Mia Lundin, BS
A Prospective Analysis of Quality of Life Outcomes in Pediatric Patients Undergoing Surgical Intervention for Lower Extremity Bone Sarcoma
Co-Authors
Emmanuel Cruz, Nicole McCaw, Hanna Gratny, John Schutz, Carson Keeter, Steven Thorpe, Nathan Donaldson
12
Catherine Donahue, PhD
Consistency is Key: Irregular Sleep Timing and Delayed Recovery Following Adolescent Concussion
Co-Authors
Mathew Wingerson, Joshua Kniss, Kelsie Richardson, Katelyn Hurlburt, Stacey Simon, Julie Wilson, David Howell
13
Katelyn Hurlburt, PhD
Post-Concussion Strength Training Does Not Negatively Impact Symptom Progression Among Adolescents
Co-Authors
Mathew Wingerson, Kelsie Richardson, Joshua Kniss, Ross Moseley, Julie Wilson, William Meehan, David Howell
14
Keely Olson, BA
Recurrence Rate of Atypical Lipomatous Tumors: a retrospective study
Co-Author
Hannah Werner
Agenda, Sessions & Keynote Presentations Posters
15
Jessica Stockhausen, MS
A Comparison of Different Surgical Approaches for Anterior Distal Femoral Hemiepiphysiodesis on Sagittal Knee Kinematics
Co-Authors
Kellen Krajewski, Amanda Vinson, Lucas Moore, Scott Miller, James Carollo, Mariano Garay Claudio, Radomir Dimovski, Jason Rhodes, Sayan De
16
Sarah Petersen, BA
When Injury Strikes: Identity and Quality of Life in Sport-Specialized Adolescent Athletes
Co-Authors
Emily Sweeney, Nathan Howell, David Howell, Gregory Walker
17
Kyle Williams, BS
Restoring Knee Function with Arthroscopic Particulated Juvenile Articular Cartilage Allograft Implantation: TwoYear Outcomes
Co-Authors
Evangelia Constantine, Kaitlyn Whitney, Carolynn McCartney, Jake Dragoo, Seth Sherman, Jason Dragoo
18
Aaron Ishmael, BS
Next-Generation Sequencing as a Valuable Tool for Determination of Causative Microbial Agents in Bone and SoftTissue Infections
Co-Author
Bennie Lindeque
19
Conor Wallace, MD
Acute versus delayed fixation of high energy OTA/AO 43C pilon fractures results in similar major complication rates
Co-Authors
Lauren Morris, Zachary Wuthrich, Keenan Onodera, Reinaldo Colonmorillo, Nicholas Alfonso, Joshua Parry
Agenda, Sessions & Keynote Presentations Posters
20
Lauren Morris, BS
How good are we at getting it right? Anatomic reductions are rarely achieved for severely displaced pilon fractures and this portends severe osteoarthritis
Co-Authors
Reinaldo Colon-Morillo, Keenan Onodera, Conor Wallace, Zachary Wuthrich, Nicholas Alfonso, Joshua Parry
21
Lorin Danielsen, BS NIH T32 Trainee
Investigation of the Hydrolytic Degradation of Liquid Crystalline Elastomers for Meniscal Tissue Engineering Applications
Co-Authors
Jason Burdick, Tim White
22
Lily Dent, BS
Area Deprivation Index an Independent Factor for Postoperative Complications After Pilon Fracture
Co-Authors
Fahim Choudhury, Conor Wallace, Lauren Morris, Joshua Parry, Jason Stoneback, Melissa Gorman, Nicholas Alfonso
23 John Taylor, BS
Anterolateral distal tibia locking plates result in fewer major complications than medial distal tibia locking plates
Co-Authors
Lauren Morris, Andrew Wallace, Zachary Wuthrich, Reinaldo Colonmorillo, Keenan Onodera, Nicholas Alfonso, Joshua Parry
24
Arjun Singh, BS
Role of a Novel, Fresh-Frozen Bone Allograft within Lumbar Interbody Spinal Fusion: A Retrospective, MatchedCohort Study
Co-Authors
Charles Nolte, Caleb Wipf, Aaron Ishmael, Jamie Huang, Andriy Noshchenko, Jens-Peter Witt, Vikas Patel
Agenda, Sessions & Keynote Presentations Posters
25
Christopher Kleck, MD
Coronal Plane Correction in Adults with Patient-Specific Rods
Co-Authors
Anna Sater, Alexander Ho, Evalina Burger, David Ou-Yang, Andriy Noshchenko
26
Hunter Wittholt, MD
Defining optimal fixation for first TMT arthrodesis using orthogonal compression devices: A biomechanical cadaver study
Co-Authors
Nathan Zona, Samuel Stark, Alexander Vlasak, Todd Baldini, Carson Keeter, Courtney Miller, Joshua Metzl, Kenneth Hunt
27
Sungmin Kim, BS
Point of Care Spirometry - A Prospective Comparison vs Laboratory Spirometry for Children with Early Onset Scoliosis
Co-Author
Klane White
28 James Straw
Safety and Tolerability of Manual Blood Pressure Monitoring in Patients with Osteogenesis Imperfecta
Co-Authors
Shelley Brandstetter, Sungmin Kim, Brynn Gaebe, Carson Keeter, Klane White
29
Gabrielle Dudek, BS
Differential Impact of Alpha-linolenic Acid on the Mesenchymal Lineages of Bone
Co-Authors
David Karasik, Cheryl Ackert-Bicknell
30 Emma Harrison, BS
Complete loss of Brachyury function in zebrafish
Co-Authors
Cassie Kemmler, Cassie Kemmler, Michael Ntrakwa,Becky O’Rourke, Christian Mosimann, Alexa Burger
Agenda, Sessions & Keynote Presentations Posters
31
Brett Naves, BS
Conserved distant enhancers regulate notochord expression of vertebrate Brachyury
Co-Authors
Jana Smolikova, Christian Mosimann, Zbynek Kozmik, Alexa Burger
32
Danielle Siegel, PhD
Lower Extremity Joint Reaction Forces are Reduced in Persons with Hemophilia with Severe Hemophilic Arthropathy
Co-Authors
Caden Robertson, Joanna Roybal, Niamh Mah, Brecca Gaffney, Beth Warren
33
Brynn Gaebe
Incidence of Nephrocalcinosis and Nephrolithiasis in the Pediatric Osteogenesis Imperfecta Population
Co-Authors
Shelley Brandstetter, Sungmin Kim, James Straw, Carson Keeter, Klane White
34
Zackary Salfi
The Integrated Effect of Physical Activity and Sleep Problems on Concussion Symptom Resolution
Co-Authors
Mathew Wingerson, David Howell, Julie Wilson, Katherine Smulligan, Catherine Donahue, Stacy Simon
35
Sarah Wright, BS
Preoperative J-Sign Measurements as a Predictor of Worse Postoperative Outcomes in Pediatric Patients with Patellar Instability
Co-Authors
Hannah Rossing, Carson Keeter, David Howell, Jay Albright
36 Emily Lindley, PhD
Pilot Study of Topical Cannabinoids for Musculoskeletal Pain
Co-Authors
Laura Livelli, Rahwa Netsanet, Alan Morris, Michelle Adkins, Jacquelyn Bainbridge, Rachael Rzasa Lynn
Agenda, Sessions & Keynote Presentations Posters
37
Charles Nolte, MD
Extensor Carpi Ulnaris Tenodesis for the Treatment of Refractory Instability & Tendinopathy: A Clinical Case Series
Co-Authors
Christopher Orear, Ethan Fulsher Carson Keeter, Matthew Belton
38 Evan Haas, BS
Ultrasound-Guided Carpal Tunnel Release: A Meta-Analysis of Clinical Outcomes, Complications, and Procedural Protocols
Co-Authors
Charles Nolte, Bilal Hamzeh, Victoria Nolte, Carson Keeter, Matthew Belton, Mark Greyson
39 Laura Noe, MD
Two-Level Pedicle Subtraction Osteotomy for Adult Spinal Deformity - Evaluation of Safety, Efficacy, and Complications
Co-Authors
Ali Zarezadeh, Anna Sater, Alexander Ho, Carson Keeter, Christopher Kleck
40 Tanvi Rami, BS in 2026
Osteocyte mechanosensing is impaired by breast cancer cells in a subtype specific manner
Co-Authors
Shreya Venkatesh, Corrin Bowman,Tony Alcantar-Salicido, William Thompson, Maureen Lynch
41 Michael Ntrakwa, PhD
Brachyury gene dosage influences notochord development
Co-Authors
Emma Harrison, Alexa Burger, Christian Mosimann
Agenda, Sessions & Keynote Presentations Posters
42
Christopher Orear, BS
The Effect of Perioperative GLP-1 Receptor Agonist Use on Reoperation Rates Following ACL Repair and Reconstruction: A Propensity-Matched Large Database Study
Co-Authors
Nader El-Hajj, Carson Keeter, Rachel Frank
43
Sophie Stumbo
Geographic and Socioeconomic Predictors of Early vs. Late DDH Diagnosis in Pediatric Patients Referred to Children's Hospital Colorado
Co-Authors
Jordyn Adams, Ava Baumann, Carson Keeter, Erika Valentine
44 Emma Judge, BA
Delayed posterior interosseous nerve palsy caused by bicortical suture button nerve entrapment following distal biceps tendon repair: Case report and multi-institution outcomes assessment of PIN & LABCN injury following distal biceps repair
Co-Authors
Eric McCarty, Alexander Lauder, Kacy Peek
45
Kelsie Richardson, MS
Psychological Readiness to Return to Sport is Associated with Recovery Time and Subsequent Injury, but Not Exercise Dosage
Co-Authors
Katelyn Hurlburt, Mathew Wingerson, Josh Kniss, Catherine Donahue, Julie Wilson, David Howell
46
Samuel Stark, MD
Radiographic Assessment of Medial Column Instability in PCFD: Preliminary Results
Co-Authors
Michael Nocek, Mingjie Zhu, Keely Olson, Brock Dykema, Mark Myerson, Shuyuan Li
Agenda, Sessions & Keynote Presentations Posters
47
Rajashekar Donaka, PhD
Loss of IDUA results in increased osteoblast activity
Co-Authors
Gabrielle Dudek, David Karasik, Reed Ayers
48 Giovanni Tin, BA
Multilayered Versus Standard Closure in Pediatric Posterior Spinal Fusion Have Similar Rates of Wound Complications
Co-Authors
C J Ernstrom, Diego Gomez, Carson Keeter, Mark Erickson, Timothy Irwin, Brooke French, David Khechoyan, Phuong Nguyen, Sumeet Garg, Jason Yu
49
Matthew Osmond, PhD
Mitigation of Posttraumatic Osteoarthritis via Dietary Supplementation with Hydrolyzed Hyaline Cartilage is Associated with Anti-inflammatory Shifts in the Gut Microbiome
Co-Authors
Honey Hendesi, Ana Ferreira Ruble, Manja Zec, Karin Payne, Michael Zuscik
50 Sam Winston, BSME
Immune instructive printed scaffolds to stimulate healing in rotator cuff tendon injury
Co-Authors
Devin Von Stade, Cody Plaisance, Isabella Sabino, Lyndah Chow, Renata Impastato, Steven Dow, Lynn Pezzanite, Kirk McGilvray
51
Nicholas Austin, AS
A Novel Histopathological Classification for Peroneal Tendon Disease Reflects Molecular Pathology and Clinical Outcomes
Co-Authors
Julia Matthias, Sara Buckley, Samuel Stark, Michael David, Michael Zuscik, Helena Jonsson, Kenneth Hunt
Agenda, Sessions & Keynote Presentations Posters

52
Julia Matthias, MD
NIH T32 Trainee
The WNT of Change: Fracture-Induced Synovial Pathways in Post-Traumatic Ankle Osteoarthritis
Co-Authors
Sara Buckley, Michael David, Samuel Stark, Nicholas Austin, Nathaniel Zona, Michael Zuscik, Kenneth Hunt
53
Harrison Wells, BA
Loss of itga10 in zebrafish causes progressive skeletal defects by disrupting by timing of ossification
Co-Authors
Robert Lalonde, Harry Smith, Gabrielle Dudek, Cheryl Ackert-Bicknell, Patrick Carry, Alexa Burger
54
Grace Georgiou, BS
Transfemoral Bone-Anchored Limb Use Changes Muscle Demand during Ambulation
Co-Authors
Mitchell Ekdahl, Peter Thomsen-Freitas, Cory Christiansen, Jason Stoneback, Brecca Gaffney
55
Rahul Chavan, BS
Investigating the Role of Elastic Fibers in Tendon Mechanosensing using Multiphoton-based Fiber Ablation
Co-Authors
Sarah Calve
56
Hwan Kyu Jeong, MS, PhD Student
Tissue-Specific Metabolic Labeling to Investigate Protein Dynamics at the Myotendinous Junction
Co-Authors
Sarah Calve, Melissa Davis, Kayla Rasavanh
57
Madeline Hornfeck, BS
Shoulder Imaging in Pediatric Trauma Patients in the Emergency Department Setting
Co-Authors
Lisa Malyak, Carson Keeter, Julia Sanders
Posters
Agenda, Sessions & Keynote Presentations
58
Valerie Nutakor
Coronal Plane Knee and Ankle Deformities after Slipped Capital Femoral Epiphysis
Co-Authors
Madeline Hornfeck, Ryan Pahlau, Carson Keeter, Julia Sanders
59 Faith Miller, PhD
Live Murine Tendon Explant Model to Evaluate Hyaluronic Acid Treatment Options for Tendinopathy
Co-Authors
Natalie Hawley, Sarah Calve
60 Jack Strotbeck, BA
Frequency of Fifth Metatarsal Fracture Classifications and Treatment Patterns in a Large Cohort at a Tertiary Academic Center
Co-Authors
Hunter Wittholt, Nathaniel Zona, Benjamin Wharton, Eric Marty, Alexander Vlasak, Stephen Pinney, Courtney Miller, Kenneth Hunt
61 Sean Giffen
Persistent Sleep Problems among Adolescents Post-Concussion: A Longitudinal Investigation of Sleep Quality Across Recovery Phases
Co-Authors
Mathew Wingerson, Joshua Kniss, Stacey Simon, Rebekah Mannix, William Meehan III, Julie Wilson, David Howell, Catherine Donahue
62
Gwendolyn McGarry, BA
Choice of Patient Reported Outcome Tool Impacts Findings in Patients with Early-Onset Scoliosis Treated Surgically
Co-Author
Kelea Damp
63
Abigail Waugh, BS, ME
Mechanical Strain Behavior of ACL Grafts Following Reconstruction: Effects of Graft Placement on the Femoral Posterior Lateral Condyle
Co-Authors
Kirk McGilvray, Rocci Trumper
Agenda, Sessions & Keynote Presentations Posters

64
Lauren Heylmun, MD
Machine Learning approaches for Radiographic Diagnostic Grouping of Femoroacetabular Impingement and Hip Instability
Co-Authors
Brianna Rowe, Michael Ellman, James Genuario, Michael David
65
Olivia Pyke, BS
Biologically Compatible Volume-Filling Medical Foam for Local Antibiotic Delivery in Fractures
Co-Authors
Jacqueline Linn, Amelia Stoner, Jacob Singer, Cody Plaisance, Renata Impastato, Steven Dow, Kirk McGilvray, Lynn Pezzanite, Nicholas Alfonso
66
Nicholas Piccaro, BS
Increased Rates of Thromboembolism in Geriatric Patients with Femur Fractures Post COVID-19 Pandemic: A Propensity-Matched Analysis
Co-Authors
Fahim Choudhury, Mohamed Awad, Jason Stoneback, Melissa Gorman, Nicholas Alfonso
67
Nicholas Vaver, BS
Can a Diagnostic Algorithm for Common Shoulder Complaints Produce a Reliable Diagnosis?
Co-Author
Grace Johnston
68
Peter Thomsen-Freitas, PT, DPT, MS NIH T32 Trainee
Low Back Pain Severity is Associated with Walking Performance One Year after Bone-Anchored Limb Implantation
Co-Authors
Jason Stoneback, Danielle Melton, Guy Lev, Brian Tobin, Suzanna Benson, Brecca Gaffney, Cory Christiansen
Agenda, Sessions & Keynote
69
Manja Zec, PhD
Altered Short-Chain Fatty Acid Profile Underscores the Role of Gut Microbial Functional Readouts in Etiopathogenesis of Post-Traumatic Osteoarthritis
Co-Authors
David Villani, Prabil Kaini, Steven Gill, Michael Zuscik

70
Benjamin Peeples, BS
Summer Externship Program
Outcomes Following Total Ankle Arthroplasty for Patients with Bleeding Disorders
Co-Authors
Samuel Stark, Nikki Clark, Kenneth Hunt
71
Prabil Kaini, BA
Abaloparatide Decelerates Progression of Posttraumatic Osteoarthritis in Mice
Co-Authors
Lauren Squire, Samantha Landgrave, Michael David, Carson Keeter, Toru Ishii, Terrin Geohring, Honey Hendesi, Ana Ferreira Ruble, Karin Payne, Douglas Adams, Jason Dragoo, Manja Zec, Michael Zuscik
72
Grace Johnston, BS
The Subscapularis Muscular Border Angle (SMBA): A Novel MRI Measurement Predictive of Subscapularis Tear Requiring Arthroscopic Repair
Co-Authors
Nicholas Vaver, Nicholas Bertha, Keely Olson
73
Vikas Patel, MD
6-DOF vs 5-DOF Cervical Total Disc Replacements
Co-Authors
Kyle Jamar, Seth Coomer, John Hipp, Avinash Patwardhan
Agenda, Sessions & Keynote Presentations Posters
74
Jiandong Hao, MD
Radiographic Comparison of IDE Trial and Real-World Cohorts in cTDR
Co-Authors
Vikas Patel, Kyle Jamar, Seth Coomer, John Hipp, Avinash Patwardhan
75 John Hipp, PhD
Objectively Measured Spondylolisthesis May Result In Below-Average Outcomes In Patients Treated Using Disc Arthroplasty
Co-Authors
Vikas Patel, Kyle Jamar, Seth Coomer
76 Kyle Jamar, BS
Limited Postoperative Range Of Motion May Indicate Poorer Outcomes In Patients Treated With Cervical Disc Arthroplasty
Co-Authors
Vikas Patel, Seth Coomer, John Hipp
77 Seth Coomer, PhD
Utilizing AI To Enhance Patient Selection And Treatment Response In Cervical Total Disc Arthroplasty Patients
Co-Authors
Vikas Patel, Kyle Jamar, John Hipp
78 Honey Hendesi, MD, PhD
Intermittent Fasting Enhances Bone Density and Microstructure in Obese Mice Potentially Through Modulation of Gut Microbiome and Metabolites
Co-Authors
Abhirupa Ghosh, Ana Ferreira Ruble, Douglas Adams, Janani Ravi, Michael Zuscik
Agenda, Sessions & Keynote Presentations Posters
79
Mitchell Ekdahl, BS
Bilateral hip cartilage contact pressure is reduced with transfemoral bone-anchored limb use
Co-Authors
Cory Christiansen, Jason Stoneback, Brecca Gaffney
80 Lydia Belay, BA
Angulation Tolerance in Pediatric Metacarpal Neck Fractures: A Retrospective Review of Digits Two Through Five
Co-Authors
Andy Lalka, Cecile Delaune, Sarah Sibbel
81 Hanna Gratny, BS
Expression of the Folate Receptor Alpha and Beta Isotypes in Sarcoma
Co-Authors
Gregory Ottenber, Terrin Geohring, Breelyn Wilky, Steven Thorpe
82
Rachel Martindale, MS
Differentiation Potential of Porcine Mesenchymal Stromal Cells for Osteochondral Tissue Regeneration
Co-Authors
Laurel Stefani, Fernando Guastaldi, Mark Randolph, Stephanie Bryant, Karin Payne
83 Ian Kretzmann, BS
Effect of Drill Trajectory on Second Metacarpal Strength in Suture Button Suspensionplasty: A Cadaveric Study
Co-Authors
Fraser Leversedge, Todd Baldini, Emma Judge, Jonathan Tueting, Louis Catalano
Agenda, Sessions & Keynote Presentations Posters
84
Shikha Saxena, BS
Differences in objective and subjective measurement during a clinical assessment
Co-Authors
Eliza Biondi, Cory Christiansen, Brecca Gaffney
85
Michael David, PhD
Machine Learning Classifies Rat Achilles Tendon and Peritendinous Tissues After Injury Using Quantitative Magnetic Resonance Imaging
Co-Authors
Christopher Orear, Julia Matthias, Daniel Moon
86 Katie Boncella, MS
Effects of Eccentric Resistance Exercise on Stepping Smoothness and PPT-7 Outcomes in Knee Osteoarthritis
Co-Author
Michael Harris-Love
87
Evangelia Constantine, MD
Comparison of Platelet-Rich Plasma with and without Hyaluronic Acid for Knee Osteoarthritis: A Retrospective Cohort Study
Co-Authors
Charles Nolte, Kaitlyn Whitney, Soha Khadem, Keely Olson, Jason Dragoo
88 Fraser Leversedge, MD
Ultrasound Imaging as a Predictor of Clinical Outcomes After Upper Extremity Nerve Repair-A Preliminary Callback Study
Co-Authors
Kyle Stoffers, Alexander Lauder, Emma Judge, Nicholas Robbins, Anna Zakusylo
Agenda, Sessions & Keynote Presentations Posters
89
Oluwafunmilayo Akinteye, BS
Global α2δ1 Knockout mimics age-related decline in Bone Material Properties
Co-Authors
Perla Fernandez, William Thompson, Virginia Ferguson
90 Eric Schott, PhD
A randomized, double blind, placebo controlled clinical study to evaluate the efficacy of the synbiotic medical food, SBD111, for the clinical dietary management of bone loss in menopausal women
Co-Authors
Mark Charbonneau, Douglas Kiel, Susan Bukata, Michael Zuscik, Clifford Rosen, Alicia Ballok, Gerardo Toledo, Thomas Travison, Maria Soto-Giron, Ian Wolf, Davidson Easson, Klaus Engelke, Luis Vitetta
91 Brianna Rowe, MS
Machine Learning Identifies Three Clusters of Patients with FAIS and Hip Instability Based on Preoperative PatientReported Symptoms
Co-Authors
Lauren Heylmun, Michael Ellman, James Genuario, Michael David
92
Toru Ishii, DVM, MS, PhD
Accelerated Progressions of Posttraumatic Osteoarthritis in Aged Mice with Inflammaging
93
Heidi Kloser, PhD
Short-term Open-Field Testing Reveals Sex and Age Dependent Behavioral Patterns in Mice
Co-Authors
Marcela Henao-Tamayo, Kelly Santangelo
94 Madeline Labor, MD
Patient Participation At The Time Of Site Marking After Obtaining Informed Consent In Upper Extremity Surgery
Co-Author Patrick Johnston
Agenda, Sessions & Keynote Presentations Posters
95
Kellen Krajewski, PhD
The Association of Sport Participation on Lower Limb Bone Architecture in Children & Adolescents: A Scoping Review and Preliminary Meta-Analysis
Co-Authors
Jordan Cartwright, Ella McLaughlin, Christine Swanson, Patrick Carry, David Howell, Kellen Krajewski
96
Matthew Belton, MD
Selective Denervation with Autologous Fat Transplantation for the Treatment of Thumb Carpometacarpal Joint Osteoarthritis
Co-Authors
Charles Nolte, Evan Haas, Ross Moseley, Anna Lee, Louis Catalano, Mark Greyson
97
Nicholas Jamnick, PhD
E0771 breast cancer tumors induce cachexia
Co-Authors
Patrick Livingston, Caleb Gammon, Paul Roberson, Heather Brechbuhl, Diana Cittelly, Leah Novinger, Andrea Bonetto
98
Ana Ferreira Ruble, DVM, MSc, PhD
The potential role of chemokine (C-C motif) ligand 2 (CCL2) Ablation In The Colonic Epithelium In Protecting From Obesity-related Osteoarthritis
Co-Authors
David Villani, Lacey Favazzo, Honey Hendesi, Samantha Landgrave, Toru Ishii, Karin Payne, Ann Gill, Steve Gill, Michael Zuscik
99 Withdrawn
This poster has been withdrawn and will not be presented at the symposium.
Agenda, Sessions & Keynote Presentations Posters
100

Jack Strotbeck, BA
Summer Externship Program
Effects of Acute Vaporized Cannabis and Oral Oxycodone on Experimentally-Induced Pain
Co-Authors
Alan Morris, Rahwa Netsanet, Carson Keeter, Jacci Bainbridge, Vikas Patel, Rachael Rzasa Lynn, Emily Lindley

101
Lily Dent, BS
Summer Externship Program
Time to Surgery as a Predictor of Success in Pediatric Digit Replantation: A Retrospective Cohort Study Design
Co-Author
Andrew Maertens

102 Ryan Dang, BS
Summer Externship Program
Validation of a Novel Flexor Pollicis Longus Manometer for Differentiating Pronator Syndrome and Carpal Tunnel Syndrome: A Prospective Feasibility Study
Co-Authors
Charles Nolte, Derek Stokes, Matthew Belton

103
Christian White, BS Summer Externship Program
Bleeding Below the Surface: Does postoperative oral TXA reduce blood loss in PAO?
Co-Authors
Danielle Pham, Kelli Van Tassel, Jessica Lee

104
Christopher Orear, BS Summer Externship Program
Perineural Liposomal Bupivacaine vs Continuous, In-Dwelling Catheters for Regional Nerve Blocks Following Foot and Ankle Surgery and Shoulder Arthroplasty
Co-Authors
Jack Strotbeck, Brock Dykema, Carson Keeter, Aaron Persinger, Daniel Moon
Posters
Agenda, Sessions & Keynote Presentations
105

Bryant So, BA
Summer Externship Program
Comparative Effectiveness of Exercise Modalities for Managing Back Pain Among Professional Violinists and Violists
Co-Author
Vikas Patel
106

Brock Dykema, BS
Summer Externship Program
Summer Externship Project | Outcomes in developmental dysplasia of the hip following total hip arthroplasty: the impact of previous hip preservation surgery
Co-Authors
Frank Somoza, Craig Hogan, Michael Dayton

107
Carter Niedert, BS
Summer Externship Program
Predicting Surgical Failure After Carpal Tunnel Release Using Early Patient-Reported Outcome Measures
Co-Authors
Ryan Dang, Drake Rosenberg, Jennifer Kummer
108

Keely Olson, BA
Summer Externship Program
Perimenopausal Status as a Risk Factor for Adhesive Capsulitis of the Shoulder
Co-Authors
Nicholas Vaver, Jonathan Bravman
109 Maxton Hyson, BS

Summer Externship Program
The Last Quarter Century of Wide Awake Local Anesthesia No Tourniquet Hand Surgery: A Systematic Review Study Design
Co-Authors
Jack Strotbeck, Louis Catalano
Agenda, Sessions & Keynote Presentations Posters

110
Jeremy Ladd , BS
Summer Externship Program
The Learning Curve in Robotic-Assisted Pediatric Spine Deformity Surgery
Co-Authors
Eric Roth, Gwendolyn McGarry, Mark Erickson
111

Hunter Fleming, BA
Summer Externship Program
Summer Externship Project | Comparative Outcomes of Pilon and Trimalleolar Ankle Fractures: A Retrospective Cohort Study
Co-Authors
Aaron Ishmael, Nicholas Alfonso
112

Aaron Ishmael, BS
Summer Externship Program
Summer Externship Project | Tenosynovial Giant Cell Tumor in the Pediatric Population
Co-Authors
Mia Lundin, Hanna Gratny, Nathan Donaldson, Steven Thorpe

113
Nader El-Hajj, BA
Summer Externship Program
Summer Externship Project | Lumbar Lordosis Restoration via the Posterior Lumbar Interbody Fusion (PLIF) Approach
Co-Authors
Kendra Lastowka, Dillon Benson, Christopher Kleck
Agenda, Sessions & Keynote Presentations


Sponsored by The Department of Orthopedics, the Colorado Program for Musculoskeletal Research (CPMR), and the Orthopaedic Research Society (ORS), the 3rd Annual Art In Science Showcase explores the intersection of creativity and discovery.
Attendees were invited to submit artwork—ranging from hand-drawn illustrations and AI-generated visuals to captivating scientific images captured through microscopes and other technologies. This exhibit celebrates the beauty of scientific exploration and the diverse ways research inspires artistic expression.
Seven standout images from last year’s showcase have been transformed into art prints and are on display throughout the event space. They are also featured on the pages that follow accompanied by the Artist Statements.
R T 3rd Annual i n S C I E N c e showcase D’AmbrosiaOrthopedicSymposium PresentedbytheColoradoProgramforMusculoskeletalResearch

Artist Statement
Skelton walking is my gait statement. I just wanted to represent our bones strolling in the park, a good walk makes good bones My own drawing was manipulated to a computerized background
Daisey Hadley-Miller and Nancy Hadley-Miller | Stroll Through The Park 2024 Art In Science Submission | Drawing on digitized background

Agenda, Sessions & Keynote Presentations
Artist Statement
A balanced intake of fats coupled with sphingolipid molecular networks favorably impacts lipid metabolism in myocytes, thus halting the effects of systemic inflammation and inflammaging on pathologica muscle weight loss.

Agenda, Sessions & Keynote Presentations Art in Science Showcase
Artist Statement
A charcoal and colored pencil hand drawing of a human hand clasping the hand of a skeleton which is bordered by a colorful strand of DNA This represents that, at the core, we are all one in the same, sharing the same skeletal structures but owning unique DNA make-ups.
No matter where we come from or who we are, as scientists we all have a common goal; to bring a bigger understanding and a better quality of life to other human beings in the name of orthopedic science.
Terrin Geohring | All in One and One for All 2024 Art In Science Submission | Hand-drawn

Agenda, Sessions & Keynote Presentations Art in Science Showcase
Eric Earley | Vishpala: Machina ex Deo 2024 Art In Science Submission | AI Generated

Artist Statement Agenda, Sessions & Keynote Presentations
Vishpala is an Indian warrior who lost her leg in a great battle and beseeched the gods for aid, who granted her a "leg of iron" She is mentioned in the Rigveda, a collection of Vedic Sanskrit hymns based on oral tradition tracing back to 2000 BCE. Her story is the first record of a prosthesis in history; in the four millenia since then, civilizations have only dreamed of the technology we have today
Christopher Orear, Michael David, Julia Matthias, Daniel Moon | Achilles Tension 2024 Art In Science Submission | AI Generated

Artist Statement
This is an AI generated cartoon-artistic image from an in vivo MRI of an injured and then healed rat achilles tendon with a lot of image artifact, possibly from motion or from airwater interface My goal with this was to take the worst MRI image I had to deal with from my dataset and make something beautiful out of it, so hopefully you enjoy it as much as it frustrated me.
Agenda, Sessions & Keynote Presentations Art in Science Showcase
Lluvia Mejia Tovar, Michael David, Julia Matthias, Daniel Moon | Atlas of Tendonia 2024 Art In Science Submission | Other Scientific

Artist Statement
This image shows a rat ankle tendon stained with Picrosirius Red, highlighting the collagen fibers under polarized light. The thick, organized collagen bundles appear in shades of red, while thinner or less organized fibers are visible in a green and yellow hue This combination of collagen bundles resembles a topographical map of the magic land of "Tendonia"
Art in Science Showcase
Agenda, Sessions & Keynote Presentations
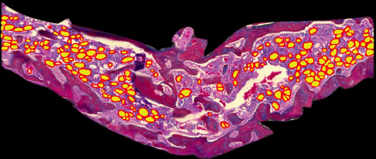
Honey Hendesi | Soft Intruders
2024 Art In Science Submission | Other Scientific

Artist Statement
Adipocytes accumulation within Fracture Callus of an obese mouse are indicating reduced osteoblast and new bone formation
Art in Science Showcase
Agenda, Sessions & Keynote Presentations

Our story as a campus is one of leaders, problem-solvers, innovators, heroes, changemakers and mentors. It’s one of dreaming big, taking leaps, taking risks, delivering hope and working toward a bright future. Each of us is part of something special here ‒ something powered by extraordinary people and ambitious ideas. I hope you take great pride in being a part of that.
- Chancellor Donald Elliman
Presenting Authors
Oluwafunmilayo Akinteye
Zain Al Abdeen Al Zuabi
Nicholas Austin
Charlotte Barton
Lydia Belay
Katie Boncella
Nina Carson
Rahul Chavan
Yichi Chen
Evangelia Constantine
Seth Coomer
Melissa Cuevas
Ryan Dang
Lorin Danielsen
Michael David
Lily Dent
Lily Dent
Catherine Donahue
Rajashekar Donaka
Gabrielle Dudek
Brock Dykema
Mitchell Ekdahl
Nader El-Hajj
Ana Ferreira-Ruble
Hunter Fleming
Brynn Gaebe
Grace Georgiou
Sean Giffen
Hanna Gratny
Nanxi Guo
University of Colorado Boulder
The Queen Elizabeth Hospital King Lynn
University of Colorado Anschutz
Colorado State University
University of Colorado Anschutz
University of Colorado Denver & Anschutz
University of Colorado Anschutz
University of Colorado Boulder
University of Colorado Anschutz
University of Colorado Anschutz
Medical Metrics
University of Colorado Anschutz
University of Colorado Anschutz
University of Colorado Boulder
University of Colorado Anschutz
University of Colorado Anschutz
University of Colorado Anschutz
Children's Hospital Colorado
University of Colorado Anschutz
University of Colorado Anschutz
University of Colorado Anschutz
University of Colorado Denver
University of Colorado Anschutz
University of Colorado Anschutz
University of Colorado Anschutz
University of Colorado Anschutz
University of Colorado Denver
University of Colorado Anschutz
University of Colorado Anschutz
University of Colorado Anschutz
Agenda, Sessions & Keynote Presentations
Presenting Authors
Evan Haas
Jiandong Hao
Emma Harrison
Honey Hendesi
Lauren Heylmun
Madeline Hornfeck
Katelyn Hurlburt
Maxton Hyson
Toru Ishii
Aaron Ishmael
Nicholas Jamnick
Hwan Kyu Jeong
Emma Judge
Prabil Kaini
Yejoon Kim
Sungmin Kim
Christopher Kleck
Heidi Kloser
Joshua Kniss
Kellen Krajewski
Ian Kretzmann
Madeline Labor
Jeremy Ladd
Fraser Leversedge
Emily Lindley
Patrick Livingston
Mia Lundin
University of Colorado Anschutz
University of Colorado Anschutz
University of Colorado Anschutz
University of Colorado Anschutz
University of Colorado Anschutz
University of Colorado Anschutz
University of Colorado Anschutz
University of Colorado Anschutz
University of Colorado Anschutz
University of Colorado Anschutz
University of Colorado Anschutz
University of Colorado Boulder
University of Colorado Anschutz
University of Colorado Anschutz
University of Colorado Anschutz
University of Colorado Anschutz
University of Colorado Anschutz
Colorado State University
University of Colorado Anschutz
Children's Hospital Colorado
University of Colorado Anschutz
University of Colorado Anschutz
University of Colorado Anschutz
University of Colorado Anschutz
University of Colorado Anschutz
University of Colorado Anschutz
Children's Hospital Colorado

Agenda, Sessions & Keynote Presentations
Presenting Authors
Rachel Martindale
Eric Marty
Julia Matthias
Gwendolyn McGarry
Faith Miller
Lauren Morris
Brett Naves
Carter Niedert
Laura Noe
Charles Nolte
Michael Ntrakwa
Valerie Nutakor
Keely Olson
Christopher Orear
Jaiden Oropallo
Matthew Osmond
Vikas Patel
Benjamin Peeples
Sarah Petersen
Nicholas Piccaro
Ashley Potter
Olivia Pyke
Tanvi Rami
Kelsie Richardson
Brianna Rowe
University of Colorado Anschutz
University of Colorado Anschutz
University of Colorado Anschutz
Children's Hospital Colorado
University of Colorado Boulder
University of Colorado Anschutz
University of Colorado Anschutz
University of Colorado Anschutz
University of Colorado Anschutz
University of Colorado Anschutz
University of Colorado Anschutz
University of Colorado Anschutz
University of Colorado Anschutz
University of Colorado Anschutz
Colorado State University
University of Colorado Anschutz
University of Colorado Anschutz
University of Colorado Anschutz
University of Colorado Anschutz
University of Colorado Anschutz
Colorado State University
Colorado State University
University of Colorado Boulder
University of Colorado Anschutz
University of Colorado Anschutz
Agenda, Sessions & Keynote Presentations
Presenting Authors
Zackary Salfi
Shikha Saxena
Eric Schott
Jack Schutz
Danielle Siegel
Jacob Singer
Bryant So
Samuel Stark
Alexander Stigall
Jessica Stockhausen
James Straw
Jack Strotbeck
Sophie Stumbo
University of Colorado Anschutz
University of Colorado Denver
Solarea Bio
University of Colorado Anschutz
University of Colorado Anschutz
Colorado State University
University of Colorado Anschutz
University of Colorado Anschutz
Colorado State University
University of Colorado Anschutz
University of Colorado Anschutz
University of Colorado Anschutz
Children's Hospital Colorado

John Taylor
Peter Thomsen-Freitas
Giovanni Tin
Nicholas Tucker
Nicholas Vaver
Conor Wallace
Abigail Waugh
Harrison Wells
Christian White
Kyle Williams
Sam Winston
Hunter Wittholt
Sarah Wright
University of Colorado Anschutz
University of Colorado Anschutz
University of Colorado Anschutz
University of Colorado Anschutz
University of Colorado Anschutz
University of Colorado Anschutz
Colorado State University
University of Colorado Anschutz
University of Colorado Anschutz
University of Colorado Anschutz
Colorado State University
University of Colorado Anschutz
University of Colorado Anschutz
University of Colorado Anschutz
Agenda, Sessions & Keynote Presentations
Thank you to our sponsors



