

Infeksjoner hos personer som injiserer rusmidler s. 8
Biologisk behandling av alvorlig astma s. 11







Spontan koronararteriedisseksjon (SCAD) s. 16
![]()


Infeksjoner hos personer som injiserer rusmidler s. 8
Biologisk behandling av alvorlig astma s. 11







Spontan koronararteriedisseksjon (SCAD) s. 16
Helseforetakene anbefaler Calquence i anskaffelsen fra 1/10-2024. Førstevalg BTK hemmer ved KLL i førstelinje for høyrisiko pasienter (del17p, mutTP53 eller del11q) og for pasienter med tilbakefall1
CALQUENCE er indisert for behandling av voksne med tidligere ubehandlet kronisk lymfatisk leukemi (KLL) som monoterapi eller i kombinasjon med obinutuzumab, eller som monoterapi for behandling av voksne med kronisk lymfatisk leukemi (KLL) som har fått minst én tidligere behandling.2

Helseforetakene anbefaler Calquence som førstevalg BTKi i anskaffelsen fra 1/10-20241

Viktig sikkerhetsinformasjon
Alvorlige blødninger er sett. Pasienter som bruker antitrombotiske midler kan ha økt risiko for blødning og forsiktighet skal utvises ved bruk. Atrieflimmer/flutter forekom hos pasienter med hematologiske maligniteter både ved monoterapi og i kombinasjon med obinutuzumab.2
Viktig informasjon om Calquence (akalabrutinib)
Dosering: Voksne: Anbefalt dose er 100 mg 2 ganger daglig. Behandling bør fortsette inntil sykdomsprogresjon eller uakseptabel toksisitet. Forsiktighetsregler: Pasienter som bruker antitrombotiske midler kan ha økt risiko for blødning og forsiktighet skal utvises ved bruk. Warfarin eller an-dre vitamin K-antagonister skal ikke gis samtidig med akalabrutinib. Overvåk for symptomer på atrieflimmer og atrieflutter og foreta EKG om nødvendig. Ved høy risiko for tromboembolisk sykdom, skal nøye kontrollert behandling med antikoagulanter og andre behandlingsalternativer vurderes. Interaksjoner: Samtidig bruk av sterke CYP3A-hemmere skal unngås; kan gi økt eksponering for akalabrutinib og dermed økt risiko for toksisitet. Dersom slike hemmere skal brukes i en kort periode (f.eks. antiinfektiva i opptil 7 dager), skal behandlingen avbrytes. Pasienten skal overvåkes nøye hvis en moderat CYP3A-hemmer brukes. Samtidig bruk av en CYP3A-induktor og sterke CYP3A4-induktorer skal unngås; vil kunne gi redusert eksponering og risiko for manglende effekt. Akalabrutinib kan øke eksponeringen for samtidig administrerte BCRP-substrater (f.eks. metotreksat) ved å hemme BCRP i tarm. Metabolitten ACP-5862 kan øke eksponeringen for samtidig administrerte MATE1-substrater (f.eks. metformin). Bivirkninger: Monoterapi: Vanligste bivirkninger(≥ 20 %): Infeksjon, hodepine, diaré, blåmerker, muskel- og skjelettsmerter, kvalme, fatigue, hoste og utslett. De vanligste (≥ 5 %) bivirkningene av grad ≥ 3 var infeksjon, leukopeni, nøytropeni og anemi. Kombinasjonsbehandling: Vanligste bivirkninger (≥ 20 %): Infeksjon, muskel- og skjelettsmerter, diare, hodepine, leukopeni, nøytropeni, hoste, fatigue, artralgi, kvalme, svimmelhet og forstoppelse. De vanligste (≥ 5%) bivirkningene av grad ≥ 3 som ble rapportert var leukopeni, nøytropeni, infeksjon, trombocytopeni og anemi. Pakninger og priser: 60 stk. (blister) kr 69.842,20. Reseptgruppe C. Refusjon: H-resept. Rekvirering skal gjøres i tråd med anbefalinger fra RHF, og refusjon ytes kun etter resept fra sykehuslege eller avtalespesialist. Calquence er godkjent refundert som monoterapi eller i kombinasjon med et anti CD20-antistoff, til behandling av voksne pasienter med tidligere ubehandlet kronisk lymfatisk leukemi (KLL) med 17p-delesjon/TP53-mutasjon og/eller 11q-delesjon, eller som monoterapi hos KLL pasienter som har fått minst én tidligere behandling.
For mer info. om Calquence, les FK tekst på www.felleskatalogen.no eller godkjent SPC. Beslutningsforum for Nye Metoder, sak 153-20221, og sak 167-20221, www.nyemetoder.no ID: NO-12900-09-24-ONC
Referanser: 1. https://www.sykehusinnkjop.no/avtaler-legemidler/onkologi 2. Calquence SPC. section 4.1, 4.4, 5.1

Styret i Norsk indremedisinsk forening:
Trond Vartdal
Leder
Knut Lundin
Nestleder
Cecilie H Nordmo
Styremedlem
Runa Andreassen
Styremedlem
Hamza Nahoui Leder NYI
Stephen Hewitt (ansvarlig redaktør)
OUS Aker
stehewi@online.no
T: 913 72 199
Ole Kristian H. Furulund (assisterende redaktør)
Stephen Hewitt Redaktør Indremedisineren
Maria Seferowicz Høstmøtetkomitéen
Bjørn Jørgensen Spesialitetskomiteen
Rune Eilertsen Vara
Anita Suntharalingam Vara NYI
Kommuneoverlege i Bærum Maya Bass Akuttmottaket, Bærum sykehus, mctbass@hotmail.com Tone Svilaas OUS Aker tosvil@ous-hf.no
Fagredaktører:
Bernt Aarli (Lungemedisin)
Haukeland universitetssykehus
Eystein Husebye (Endokrinologi)
Haukeland universitetssykehus
Gunnar Einvik (Lungemedisin) Akershus universitetssykehus/NTNU
Indremedisineren er et fagtidsskrift rettet mot norske leger som arbeider innen fagomådet indremedisin, med dets ulike retninger. Indremedisineren sendes ut til alle medlemmer av Norsk indremedisinsk forening (Nif), som for tiden er ca 3 400, samt til andre med interesse for faget.
Indremedisineren vil presentere
Forsidebilde
Foto: Apriil Media
Utgivelsesplan
Nr.
Nr.
Trine Finnes (Endokrinologi) Sykehuset Innlandet/OUS
Guri Hagberg (Geriatri) OUS Ullevål
Camilla Hem (Geriatri) Diakonhjemmet
relevant faglig og fagpolitisk stoff fra norske miljøer, samt noe internasjonalt rettet stoff av allmen
gir rom for en allment engasjert indremedisiner
Bestillingsfrist/ Levering Forfatterfrister Materiellfrist annonsører Posten
Annonsepriser 2025
Bakside 24.500,Omslagsside 22.000,-
Helside 20.500,1/2 side liggende 14.500,-
Årsavtale
Med fire innrykk oppnås min. 20% rabatt.
Annonseformat
Bredde x Høyde
1/1 side 210 mm
1/2 side liggende
1/2 side stående
Bakside
Annonsemateriell
Høyoppløste PDF-filer, der fonter og høyoppløste bilder er inkludert.
Layout, produksjon og annonsesalg
Apriil Media AS E-post: ragnar.madsen@apriil.no www.apriil.no



Disclaimer






• Informasjon, meninger og synspunkter som utgis i Indremedisineren tilhører forfatterne, og ikke nødvendigvis Norsk indremedisinsk forening eller redaksjonen.
• Publisering av artikler, annonser eller annen informasjon, betyr ikke nødvendigvis støtte eller aksept for disse.
• Redaksjonen og utgiver anstrenger seg for ikke å publisere unøyaktige eller misvisende data, men forfatterne må selv ta ansvar for data,







uttalelser og meninger som blir utgitt på deres vegne.
• Redaksjonenen og utgiver gjør sitt beste for å sikre at legemiddeldoser og andre kvantiteter presenteres nøyaktig, men vi anbefaler leserne å bruke legemidler i samsvar med Felleskatalogen/Norsk legemiddelhåndbok.
• Indremedisineren og/eller utgiver kan ikke holdes ansvarlig for evt. feil eller konsekvenser som oppstår som følge av bruk av informasjon i tidsskriftet.
Retningslinjer for antibiotikabehandling i sykehus anbefaler at DIFICLIR (fidaksomicin) vurderes til behandling av Clostridioides difficile-infeksjon (CDI) hos pasienter med høy risiko for residiv
Faktorer som kan øke risiko for residiv er1:
• Immunsvikt
• Tidligere CDI
• Sykehusopphold siste 3 måneder
• Protonpumpehemmer
• Høy alder
Vennligst se retningslinjer for fullstendig behandlingsanbefaling
Elektronisk søknadsløsning for individuell refusjon til legemidler på blåresept
Utvalgt produkt- og sikkerhetsinformasjon DIFICLIR (fidaksomicin) 200 mg tabletter
Indikasjoner: For behandling av Clostridioides difficile-infeksjoner (CDI), også kjent som C. difficile-assosiert diaré (CDAD), hos voksne og pediatriske pasienter med en kroppsvekt på minst 12,5 kg. Det skal tas hensyn til offisielle retningslinjer for korrekt bruk av antibakterielle midler. Vanligste bivirkninger: Vanlige: Forstoppelse, kvalme, oppkast. Vanligste alvorlige bivirkninger: Overfølsomhetsreaksjoner inkl. alvorlig angioødem. Interaksjoner: Forsiktighet utvises ved samtidig bruk av potente P-gp-hemmere. Kontraindikasjoner: Overfølsomhet for innholdsstoffene. Forsiktighetsregler: Fidaksomicin bør brukes med forsiktighet ved kjent allergi mot makrolider. Hvis det oppstår en alvorlig allergisk reaksjon, skal legemidlet seponeres og egnede tiltak igangsettes. Bør brukes med forsiktighet ved pseudomembranøs kolitt eller fulminant eller livstruende CDI og ved nedsatt lever- og nyrefunksjon. Graviditet, amming og fertilitet: Graviditet: Det anbefales å unngå bruk under graviditet. Amming: Det må tas en beslutning om amming skal opphøre eller behandling avstås fra, basert på nytte-/risikovurdering. Fertilitet: Dyrestudier indikerer ingen effekt på fertilitet. Dosering: Tabletter: Standard dosering: Voksne og barn ≥12,5 kg: Anbefalt dose er 200 mg (1 tablett) administrert 2 ganger daglig (1 tablett hver 12. time) i 10 dager. Utvidet pulsdosering: Voksne: 200 mg tabletter administreres to ganger daglig for dag 1–5 (ingen tablett på dag 6) og deretter én gang daglig annenhver dag for dag 7–25. Hvis en dose blir glemt, skal den glemte dosen tas så snart som mulig, men hvis det snart er tid for neste dose, skal tabletten hoppes helt over. Administrering: Kan tas med eller uten mat. Svelges hele sammen med et glass vann. Pakninger og priser: 20 stk. (blister) kr 18 099,90. Reseptgruppe C. Basert på SPC godkjent av DMP/EMA: 01.12.2023. PM-DT-NO-00020.
For utfyllende informasjon om dosering, forsiktighetsregler, interaksjoner og bivirkninger – se felleskatalogen no.
Referanse: 1. https://www.helsedirektoratet.no/retningslinjer/antibiotika-i-sykehus/infeksjoner-i-abdomen#clostridioides-difficile-infeksjon. Sist faglig oppdatert 01.03.2022.
Tillotts Pharma AB | Gustavslundsv. 135, 167 51 Bromma, Sverige | Tel: +46 8-704 77 40 | nordicinfo@tillotts.com
Året er snart omme. Jeg har tidligere skrevet om oppdraget med å «greie ut» om breddekompetanse innen de indremedisinske og kirurgiske spesialitetene. Det er gjort et betydelig arbeid og bredt samarbeid både i regi av Helsedirektoratet og i regi av de regionale helseforetakene (RHF). Flere fagmedisinske foreninger har vært med på arbeidet, ikke minst Norsk indremedisinsk forening. Jeg vil benytte anledningen til å takke alle dyktige og taleføre kolleger som har blitt oppnevnt og som har deltatt i disse to store arbeidene. Det har vært veldig interessant og spennende å diskutere fag, fagutvikling, kompetanse og struktur på helsevesenet med dere alle. Jeg har foreløpig ikke sett de endelige rapportene, og er spent på drøftingene i dem. Dernest må det komme vedtak basert på rapportene, og dette er ikke minst spennende. Det bør komme tydelige føringer fra departement og direktorat – og sykehusene må ta vesentlige avgjørelser om ressurser og kompetanse. Det betyr videre at også i 2025 kommer en god del av oss til å arbeide med begrepene «breddekompetanse», «generalistkompetanse» og «spesialisert generalistkompetanse».
Mens vi venter på føringer og vedtak, anbefaler jeg å lese artikkelen om «Generalisten i nettverk» av Øystein Evjen Olsen og Geir Sverre
Braut, i dette nummeret av Indremedisineren. Her beskriver de hvordan «LEON-prinsippet» (Laveste Effektive (eller beste) OmsorgsNivå) ofte fravikes i dagens helsevesen, og der generalisten er en begrensende faktor. Forfatterne anbefaler en rehabilitering av breddekompetanse i nettverk, og som blant annet innebærer en bredere definisjon av faglig forsvarlighet. En høyst lesverdig artikkel.
Apropos lesing, når dette nummeret sendes ut er julen like om hjørnet. For de aller fleste av oss er det en tid for litt ro, refleksjon og noen fine ferie dager. Som de generalistene dere er, skal flere av dere arbeide gjennom denne perioden inkludert vakter, men forhåpentligvis også få noen rolige dager med familie og venner. I tillegg til å lese det aktuelle (eller tidligere) nummer av Indremedisineren blir det kanskje også tid til å lese noe ikke-fagrelatert. Selv har jeg planer om å lese «Hjernen og mytene» fra Den norske nevrolitterære klubb og «Sjøfareren» av Erika Fatland.
Og med det ønsker jeg alle medlemmer og andre lesere en riktig god jule- og nyttårsfeiring!
Hilsen
Trond Vartdal
Leder, Norsk Indremedisinsk forening

SAVE THE DATE
5–8 March 2025
Florence, Italy
23rd European Congress of Internal
SAVE THE DATE
5–8 March 2025
Florence, Italy
www.ecim2025.org
Ernæringskonferansen 2025 Ernæring januar 2025 Sagveien 23 A-5,

www.ecim2025.org


L
professor, Oslo universitetssykehus
proteinbehov hos kreftpasienten
L Velkommen til Ernæringskonferansen 2025 Kreft og Ernæring
Velkommen til Ernæringskonferansen 2025 Kreft og Ernæring
gastrokirurgi, Universitetssykehuset i Nord Norge kirurgi
anestesi og intensiv, Haukeland universitetssykehus
underernæring og sykehusmat på agendaen
Velkommen til Ernæringskonferansen 2025 Kreft og Ernæring Onsdag 15. januar 2025
Onsdag 15. januar 2025
Onsdag 15. januar 2025
Sted: Månefisken, Sagveien 23 A-5, OSLO
www.ecim2025.org
Sted: Månefisken, Sagveien 23 A-5, OSLO
Onsdag 15. januar 2025
Sted: Månefisken, Sagveien 23 A-5, OSLO
ernæring, Kreftforeningen
Vestre Viken Bærum sykehus
Sted: Månefisken, Sagveien 23 A-5, OSLO
09.00-09:30 Registrering og utstilling
09.00-09:30 Registrering og utstilling
09.00-09:30 Registrering og utstilling
09.30-09:45 Velkommen og Firmapresentasjon
09.30-09:45 Velkommen og Firmapresentasjon
ernæringsbehandlingen – Hvordan veilede pasientene i hvordan formidle evidensbasert kunnskap
samhandling rundt kreftbehandling – ulike
ernæringsbehandling ved kreft
ernæringsfysiolog, Lovisenberg Diakonale Sykehus og Bydel for påmelding L
09.30-09:45 Velkommen og Firmapresentasjon
Svein Oskar Frigstad, leder NSKE
Svein Oskar Frigstad, leder NSKE
09.45-10.30 Kostråd for kreftpasienter
Svein Oskar Frigstad, leder NSKE
09.45-10.30 Kostråd for kreftpasienter
Rune Blomhoff, ernæringsforsker og professor, Oslo universitetssykehus
09.45-10.30 Kostråd for kreftpasienter
10:30-11:00 Pause med utstilling
Rune Blomhoff, ernæringsforsker og professor, Oslo universitetssykehus
Rune Blomhoff, ernæringsforsker og professor, Oslo universitetssykehus
10:30-11:00 Pause med utstilling
10:30-11:00 Pause med utstilling
11:00–11:30 Stressmetabolisme og proteinbehov hos kreftpasienten
Martin Hagve, overlege, avdeling for gastrokirurgi, Universitetssykehuset i Nord Norge
11:00–11:30 Stressmetabolisme og proteinbehov hos kreftpasienten
11:00–11:30 Stressmetabolisme og proteinbehov hos kreftpasienten
11:30–12 00 Ernæringstiltak før og etter kreftkirurgi
Martin Hagve, overlege, avdeling for gastrokirurgi, Universitetssykehuset i Nord Norge
Martin Hagve, overlege, avdeling for gastrokirurgi, Universitetssykehuset i Nord Norge
Anne Berit Guttormsen, overlege anestesi og intensiv, Haukeland universitetssykehus
11:30–12 00 Ernæringstiltak før og etter kreftkirurgi
11:30–12 00 Ernæringstiltak før og etter kreftkirurgi
12 00-13 00 Lunsjpause med utstilling
Anne Berit Guttormsen, overlege anestesi og intensiv, Haukeland universitetssykehus
Anne Berit Guttormsen, overlege anestesi og intensiv, Haukeland universitetssykehus
13 00-13:30 Med sykdomsrelatert underernæring og sykehusmat på agendaen
12 00-13 00 Lunsjpause med utstilling
12 00-13 00 Lunsjpause med utstilling
Mona Bjelland, spesialrådgiver klinisk ernæring, Kreftforeningen
13 00-13:30 Med sykdomsrelatert underernæring og sykehusmat på agendaen
Påmelding:
Se www.nske.no eller bruk QR koden
13 00-13:30 Med sykdomsrelatert underernæring og sykehusmat på agendaen
Mona Bjelland, spesialrådgiver klinisk ernæring, Kreftforeningen
Mona Bjelland, spesialrådgiver klinisk ernæring, Kreftforeningen
13:30–14:00 Kommunikasjon i ernæringsbehandlingen – Hvordan veilede pasientene i jungelen av ernæringsråd og hvordan formidle evidensbasert kunnskap
Tine Sundfør, klinisk ernæringsfysiolog, Vestre Viken Bærum sykehus
14:00-14:30 Pause med utstilling
13:30–14:00 Kommunikasjon i ernæringsbehandlingen – Hvordan veilede pasientene i jungelen av ernæringsråd og hvordan formidle evidensbasert kunnskap Tine Sundfør, klinisk ernæringsfysiolog, Vestre Viken Bærum sykehus
13:30–14:00 Kommunikasjon i ernæringsbehandlingen – Hvordan veilede pasientene i jungelen av ernæringsråd og hvordan formidle evidensbasert kunnskap Tine Sundfør, klinisk ernæringsfysiolog, Vestre Viken Bærum sykehus

14:00-14:30 Pause med utstilling
14:00-14:30 Pause med utstilling
14:30-15 00 Tverrfaglig samarbeid og samhandling rundt kreftbehandling – ulike dimensjoner av ernæringsbehandling ved kreft
Kristine Norkvelle, klinisk ernæringsfysiolog, Lovisenberg Diakonale Sykehus og Bydel
Sagene, Oslo kommune
14:30-15 00 Tverrfaglig samarbeid og samhandling rundt kreftbehandling – ulike dimensjoner av ernæringsbehandling ved kreft
14:30-15 00 Tverrfaglig samarbeid og samhandling rundt kreftbehandling – ulike dimensjoner av ernæringsbehandling ved kreft
15.00-16.00 Frie foredrag
Kristine Norkvelle, klinisk ernæringsfysiolog, Lovisenberg Diakonale Sykehus og Bydel Sagene, Oslo kommune
16.00-16.45
Kristine Norkvelle, klinisk ernæringsfysiolog, Lovisenberg Diakonale Sykehus og Bydel Sagene, Oslo kommune
Årsmøte NSKE
Svein Oskar Frigstad, leder NSKE
15.00-16.00 Frie foredrag
15.00-16.00 Frie foredrag
16.00-16.45 Årsmøte NSKE
16.00-16.45
Se www.nske.no eller bruk QR koden for påmelding
Årsmøte NSKE
Svein Oskar Frigstad, leder NSKE
Svein Oskar Frigstad, leder NSKE
Se www.nske.no eller bruk QR koden for påmelding
Se www.nske.no eller bruk QR koden for påmelding
Idet vi legger siste hånd på dette nummer, markerer vi fullføringen av vår 16. årgang av Indremedisineren. Vi har hatt gleden av å være del av formidlingen av variert indremedisin og ikke minst vært vitne til betydelige fremskritt som har skjedd innen vårt fagområde. Også dette nummer formidler viktige og oppdaterte innlegg.
Først ut er Olav Dalgard som omtaler infeksjonsrisiko hos personer som injiserer rusmidler. Artikkelen dekker umiddelbare farer som blodbaneinfeksjoner og hud- og bløtdelsinfeksjoner, samt langtidseffekter av blodbårne virusinfeksjoner som HIV og hepatitt. Forfatteren understreker viktigheten av forebyggende tiltak som rene sprøyter og vaksinasjon. Forfatteren fremhever at helsevesenet må tilby en fordomsfri og kunnskapsrik behandling for denne sårbare gruppen.
En studie om biologisk behandling av alvorlig astma rapporterer at slike medikamenter kan bedre astmakontrollen betydelig, redusere antall forverrelser og øke lungefunksjonen.
Medisinstudentene Anders Fløymo og Mads Frigstad fra Universitetet i Bergen viste til imponerende resultater, der 26-40% av pasientene oppnådde klinisk remisjon ved første polikliniske kontroll. Studien understreker behovet for videre forskning innen feltet sammen med persontilpasset behandling.
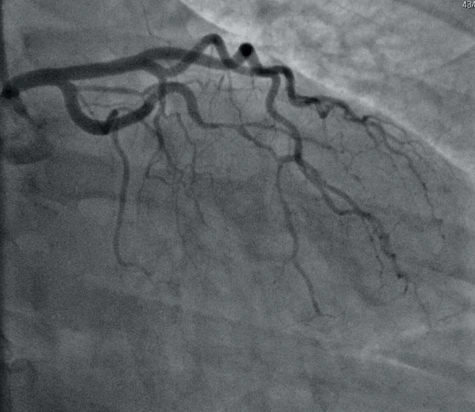
Spontan koronararteriedisseksjon beskrives av Nigussie Bogale som en ikke-aterosklerotisk årsak til akutt hjerteinfarkt, som er vanligst hos

kvinner. Tilstanden skyldes patologi i arteriene, og ses ofte etter fødsel eller ved stress. Diagnosen stilles ved selektiv koronarangiografi. Konservativ behandling anbefales ofte til hemodynamisk stabile pasienter. Langtidsoppfølging viser god prognose med lav tilbakefallsrate. Hjerterehabilitering med individuell treningsplan kan anbefales for å bedre prognosen.
Sandra Dis Steintorsdottir og Johan Arild Evang gjennomgår endokrinologisk praksis ved Nasjonal behandlingstjeneste for kjønnsinkongruens (NBTK). Hormonbehandling kan bedre livskvalitet og lindre kjønnsdysfori ved kjønnsinkongruens. Behandlingen er individualisert, der østradiol og antiandrogener brukes for feminisering, og testosteron for maskulinisering. Forfatterne omtaler ulike aspekter i oppfølgingen.
Det er viktig å forstå og behandle sykdomsrelatert underernæring, som blir understreket av Svein Oskar Frigstad. Underernæring er vanlig blant pasienter som innlegges, spesielt de med fordøyelsessykdommer, og kan føre til økt sykelighet og lengre sykehusopphold. Identifisering av risikopasienter er essensielt, og nasjonale retningslinjer anbefaler systematisk screening og målrettede ernæringstiltak. Tilfredsstillende ernæring er en menneskerett, og tverrfaglig innsats er viktig for å sikre dette hos alle pasientene.
Avslutningsvis redegjør Øystein
Evjen Olsen og Geir Sverre Braut for

utfordringer med dagens helsemodell og hvordan en styrket generalistrolle kan gjenopprette «helsepyramiden». Dagens modell svekker kvaliteten og effektiviteten på helsetjenestene. De foreslår å styrke generalistene og deres breddekompetanse, samt å etablere bedre faglige nettverk mellom generalister og subspesialister i sykehus og på tvers av sykehus. Forventede effekter inkluderer bedre kvalitet og forsvarlighet, reduserte kostnader og ventetider, forbedret rekruttering og økt trygghet i befolkningen.
Vi viser videre til foreningssidene, som tradisjonen tro dekker høstmøtet til Norsk indremedisinsk forening, inkludert kåringen av «beste artikkel» i Indremedisineren. Det følger også foreningsnytt med høstmøterapporter fra Norsk forening for lunge medisin og Norsk forening for geriatri, samt omtale fra endokrinologisk interessegruppe for kalsium og bensykdommer.
Vi vil igjen takke alle bidragsytere, samarbeidende foreninger og annonsører for uvurderlige støtte i året som har gått. En spesiell takk går til Apriil, som fortsatt står på for layout og produksjonen av Indremedisineren.
Når vi nå står på terskelen til jule- og nyttårstiden, er tiden fylt av forventning og glede. Vi i redaksjonen vil benytte anledningen å ønske alle våre lesere en fredelig og gledelig høytid. Måtte det nye året bringe enda flere muligheter for læring, vekst og samarbeid!


Enhver som har jobbet i sykehus vil ha merket at personer som injiserer rusmidler er kraftig overrepresentert blant de innlagte. Slik har det vært i mange tiår i vestlige land. Hva feiler det disse pasientene? Kan vi gjøre en bedre jobb for dem og kan sykdommene forebygges på en bedre måte?
Olav Dalgard, overlege prof dr. med., Infeksjonsmedisinsk avdeling

Innledning
Injeksjon av rusmidler medfører ikke bare risiko for overdose, men også for en rekke infeksjonssykdommer (1).
Blodbaneinfeksjoner og hud- og bløtdelsinfeksjoner er de umiddelbare farene mens blodbårne virusinfeksjoner kan være livstruende mange år etter smittetidspunktet (2).
Injiserende bruk av opioider kom til Norge i betydelig omfang mot slutten av 60-tallet og har vært et stort helsemessig og sosialt problem siden. Noen har maktet å slutte med bruk av opioider, men en betydelig andel forblir opioidavhengige livet ut. For disse har legemiddelassisert rehabilitering (LAR) blitt en god løsning, og cirka 8000 personer er nå med i programmet (3). Denne store populasjonen aldres år for år: I 2011 var gjennomsnittsalderen blant LAR-pasienter i Norge 42 år og ti år etter var den 47 år (3). Årsakene er antagelig at færre unge bruker opioider og at LAR-behandlingen har ført til redusert dødelighet av heroinoverdoser (4). Mange i LAR fortsetter å injisere rusmidler, men mindre hyppig enn før de kom i behandling. Denne aldrende populasjonen av sprøytebrukere er skrøpelig, og er særlig utsatt for injeksjonsrelaterte infeksjoner.
Til tross for alvorlig sykdom kvier mange sprøytebrukere seg for å søke helsehjelp, og ikke sjelden går det mer enn én uke med store plager og feber før brukeren oppsøker helsevesenet (5, 6). Noe av forsinkelsen kan skyldes at abscesser tømmes av pasienten selv, og at smerter
behandles med økning av opioddosen. En annen viktig årsak til forsinkelsene er at pasienten frykter møtet med helsevesenet. De frykter å bli møtt med fordommer og de frykter utilstrekkelig behandling av smerter og abstinenser (7).
Mottak av rusavhengige i somatiske sykehus
Når injiserende rusmiddelbrukere kommer til sykehusets akuttmottak, må vi som leger skaffe oversikt over pasientens ruserfaring. Vi bør kartlegge når pasienten injiserte sist, hvor hyppig dette har skjedd i tiden før innleggelsen, hvor på kroppen injeksjonene har vært satt, om han/ hun har delt brukerutstyr, om det har vært gjenbruk av egne sprøyter, om innstikkstedet var desinfisert, hvor raskt symptomene oppsto etter eventuell injeksjon og hvilke rusmidler som ble benyttet . Vi må og notere oss pasientens erfaring med rusbehandling, med LAR, men også annen behandling. Anamnesen må ha særlig fokus på tidligere injeksjonsrelaterte infeksjoner
På åtti- og nittitallet var det ingen selvfølge at opiatavhengige ble tilbudt substitusjonsbehandling under innleggelser. Den gang var det en utbredt oppfatning blant leger at et slikt tilbud ville kunne tiltrekke seg rusavhengige som egentlig ikke trengte sykehusbehandling. Etter 1998 er LAR blitt et etablert tilbud og mange injiserende rusmiddelbrukere er allerede i programmet ved innleggelse i sykehus slik at LARbehandlingen kun skal kontinueres. En betydelig gruppe opioidavhengige
er derimot ikke i LAR, og disse bør tilbys substitusjonsbehandling under oppholdet. I utgangspunktet vil de fleste kunne behandles med metadon mikstur 20 mg x 1, med mulighet for å legge til 20 mg per døgn om pasienten opplever abstinens (6). Mange pasienter som ikke er i LAR har allikevel vært i LAR tidligere, men meldt seg ut av programmet. Disse kan det være fornuftig å spørre om hva de selv tenker vil være en riktig metadondose. Problemet med bruk av metadon i sykehus er hva som skal skje ved utskrivelse. Velferdsetaten i Oslo kommune tilbyr sin befolkning umiddelbar oppstart av opiatsubstitusjon i programmet Legemiddelassistert skadereduksjon i Oslo (LASSO). I andre regioner bør den lokale avdelingen for rus- og avhengighetsmedisin kontaktes.
En vanlig utfordring under sykehusinnleggelser av sprøytebrukere, er smertebehandling. Slik behandling kan begynne med ikke-steroideantinflammatoriske midler og paracetamol, men oppnår ikke pasienten god smertelindring med dette bør intensivert opioidbehandling i utgangspunktet gis som økning av LAR-medisiner for dem som mottar dette.
Hud- og bløtdelsinfeksjoner Den vanligste årsaken til innleggelse av sprøytebrukere, er hud- og bløtdelsinfeksjoner. Tre av fire sprøytebrukere i Oslo rapporterte at de én eller flere ganger ha vært innlagt med dette (8). Dette kan være svært smertefulle tilstander hvor drenasje hvis det foreligger en abscess er

Gule stafylokokker
Betahemolytiske streptokokker
Gule stafylokokker
Figur 1. Kategorier av hud- og bløtdelsinfeksjoner som kan følge av injiserende rusmiddelbruk
viktig både for infeksjonskontroll og smertebehandling. Noen pasienter har derimot erysipelas med velavgrenset rubor rundt et innstikkssted, eller cellulitt, som gir en mer diffust avgrenset rubor og som regel mer subkutant ødem. jf. figur 1.
Mikrobiologisk etiologi ved erysipelas er hos sprøytebrukere, som ellers i befolkningen, betahemolytiske streptokokker, og behandlingen er penicillin. Langt vanligere derimot, er cellulitt. Hos sprøytebrukere må vi da alltid anta at gule stafylokokker er involvert og behandle med et penicillinasestabilt antibiotikum f.eks. kloksacillin intravenøst eller dikloksacillin peroralt.
I Oslo er mer enn 50 sprøytebrukere blitt behandlet med hemodialyse de siste årene. Disse hadde i hovedsak utviklet kronisk nyresvikt på grunn av amyloidose (9). Årsaken til dette er antagelig langvarige hud-og bløtdelsinfeksjoner med utfelling av AA amyloid i organer, inklusive nyrene (10). (Figur 2)
Blodbaneinfeksjoner Sprøytebrukere opplever ofte blodbaneinfeksjoner, enten som en direkte innstallering av mikrober ved injeksjon, eller som en komplikasjon til hud- og bløtdelsinfeksjoner. Mikrobiell årsak er i de fleste tilfeller gule stafylokokkker, men et bredt spektrum av mikrober kan påvises, inklusive gram negative staver, sopp og en sjelden gang mer «eksotiske» mikrober som Bacillus anthracis og Clostridium tetani (11). Den empiriske antibiotikabehandling av sprøyte -
brukere med mistanke om blodbaneinfeksjon er kloksacillin + gentamicin og piperacillin/ tazobactam dersom det foreligger septisk sjokk.
Endokarditt
Blodbaneinfeksjon kan kompliseres med infeksiøs endokarditt (IE), som hos sprøytebrukere ofte rammer trikuspidalklaffen(12). Slike høyresidig IE kan forårsake septisk embolisering til lungene, med typiske funn på røntgen toraks. Venstresidig IE på aorta- og/eller mitralklaff er heller ikke uvanlig hos denne gruppen, og utgjør cirka 40% av IE hos sprøytebrukere(12). Gule stafylokokker er vanligste mikrobielle årsak ved IE hos sprøytebrukere, men viridans streptokokker sees heller ikke sjelden; noe som kan ha sin årsak i den dårlige tannstatusen til mange rusavhengige.
Blodbårne virusinfeksjoner HIV var en stund vanlig blant sprøytebrukere, og i de tre første årene etter at HIV-testen ble tilgjengelig i 1985 ble det meldt 238 tilfeller fra denne gruppen (13). Siden falt insidensen raskt og har holdt seg lav siden. Ved den årlige helseundersøkelsen blant sprøytebrukere i Oslo har prevalensen i mange år vært 1-2%, og pasientene har uten unntak vært tidligere kjente og velbehandlede for sin HIV-infeksjon.
HCV infeksjon har vært langt vanligere enn HIV blant sprøytebrukere Dette skyldes at hepatitt C viruset er mer smittsomt enn HIV ved sprøytedeling. En annen viktig forklaring er at brukere som har vært smittet med HIV tok selv tidlig affære og
Epidermis
Dermis
Subcutis
Muskel
var forsiktige med å dele utstyr. HIV pasienter ble dessuten fra tidlig på 1990-tallet tilbudt metadon, samtidig som rene sprøyter ble gjort langt mer tilgjengelig av kommunene.
Akutt hepatitt B -virus (HBV) infeksjon (har forårsaket flere utbrudd siden 1970-tallet og lenge hadde de fleste sprøytebrukere serologisk funn forenlig med gjennomgått infeksjon (anti-HBc antistoff), og dermed beskyttende immunitet, mens yngre brukere i dag sjelden har slike antistoff (14). Vaksine tilbys, men i Oslo ser det ut til at kun 1/3 har fått denne (personlig meddelelse E. Opheim, Oslo kommune)
Sist det var et utbrudd av akutt hepatitt B blant sprøytebrukere i Norge var i 1998-1999, da 1000 tilfeller ble meldt. Immuniteten mot hepatitt B faller år for år i gruppen

Figur 2: Histologisk snitt av nyre med amyloidose

og med det øker risikoen for et nytt stort utbrudd. Det beste tiltaket for å forhindre dette, er at kommunene øker sin innsats for å vaksinere denne gruppen.
mot å bli eliminert (15). Ved helseundersøkelse i Oslo høsten 2024 hadde kun 6% av sprøytebrukerne kronisk hepatitt C (16).
Forebyggende tiltak
Tab 1. Brukerutstyr til injiserende rusmiddelbruk
Utstyr Formål
Kokekar f.eks skje
Filter f.eks bomullsdott
Å løse opp pulveriserte rusmidler
Å filtrere bort partikler når rusmiddelet trekkes opp fra kokekar til sprøyte
Kanyle og pumpe Å injisere
Vann Å løse opp pulverisert rusmiddel
Tourniquet Å bedre venøs tilgang
Syre f.eks ascorbinsyre Å bedre oppløsning av rusmiddel f.eks
Sprittørk Å vaske innstikkstedet
Referanser
1. Doran J, Harris M, Hope VD, Wright T, Edmundson C, Sinka K, et al. Factors associated with skin and soft tissue infections among people who inject drugs in the United Kingdom: A comparative examination of data from two surveys. Drug Alcohol Depend. 2020;213:108080.
2. Kielland KB, Skaug K, Amundsen EJ, Dalgard O. All-cause and liver-related mortality in hepatitis C infected drug users followed for 33 years: a controlled study. J Hepatol. 2013;58(1):31-7.
3. Nesse LL, P; Skeie, I; Lillevold, P; Clausen, T. Statusrapport 2022. SERAF rapport. 2023;1.
4. Rogeberg O, Bergsvik D, Clausen T. Opioid overdose deaths and the expansion of opioid agonist treatment: a population-based prospective cohort study. Addiction. 2022;117(5):1363-71.
5. Hope VD, Ncube F, Parry JV, Hickman M. Healthcare seeking and hospital admissions by people who inject drugs in response to symptoms of injection site infections or injuries in three urban areas of England. Epidemiol Infect. 2015;143(1):120-31.
6. Noska A, Mohan A, Wakeman S, Rich J, Boutwell A. Managing Opioid Use Disorder During and After Acute Hospitalization: A Case-Based Review Clarifying Methadone Regulation for Acute Care Settings. J Addict Behav Ther Rehabil. 2015;4(2).
7. Summers PJ, Hellman JL, MacLean MR, Rees VW, Wilkes MS. Negative experiences of pain and withdrawal create barriers to
Lenge levde cirka halvparten av sprøytebrukere med kronisk hepatitt C og komplikasjoner til sykdommen var den viktigste somatiske årsaken til tidlig død gruppen (2). I 2014 ble effektiv antiviral behandling tilgjengelig. Disse antivirale midlene gis som en tablettkur over 8-12 uker og så godt alle blir varig virusfrie. Reinfeksjon kan skje. Norge har kanskje bedre enn noe annet land lykkes med å nå sprøytebruker med hepatitt C behandling og sykdommen er på vei
abscess care for people who inject heroin. A mixed methods analysis. Drug Alcohol Depend. 2018;190:200-8.
8. Fredriksen AD, O. Burden of skin and soft tissue infections among people who inject drugs: A cross sectional study. INHSU 2024 The 12th International Conference on Health and Hepatitis in Substance Users. 2024.
9. Manner I, Sagedal S, Røger M, Os I. Renal amyloidosis in intravenous heroin addicts with nephrotic syndrome and renal failure. Clin Nephrol. 2009;72(3):224-8.
10. Harris M, Brathwaite R, Scott J, Gilchrist G, Ciccarone D, Hope V, et al. Drawing attention to a neglected injecting-related harm: a systematic review of AA amyloidosis among people who inject drugs. Addiction. 2018;113(10):1790-801.
11. Thonnings S, Jansaker F, Sundqvist C, Thudium RF, Nielsen SD, Knudsen JD. Prevalence and recurrence of bacteraemia in hospitalised people who inject drugs - a single Centre retrospective cohort study in Denmark. BMC Infect Dis. 2020;20(1):634.
12. Pericas JM, Llopis J, Athan E, Hernandez-Meneses M, Hannan MM, Murdoch DR, et al. Prospective Cohort Study of Infective Endocarditis in People Who Inject Drugs. J Am Coll Cardiol. 2021;77(5):544-55.
13. Anonym. Handlingsplan mot HIV- AIDS epidemien 1996-2000. Sosial og helsedepartementet. 1996.
God tilgang på rene sprøyter er et viktig tiltak for å forhindre både bakterielle infeksjoner og blodbårne virusinfeksjoner. Norske kommuner har plikt til å gjøre slike tilgjengelig gratis (figur 3 og tabell ) (17). Programmet er godt utviklet i Norge og deling av sprøyter er blitt stadig sjeldnere, men fortsatt oppgir én av ti at de at de har delt sprøyte med en annen i løpet av den siste måneden(18). Gjenbruk av egne sprøyter forekommer også, noe som øker risikoen for bakterielle infeksjoner. Annet brukerutstyr, som kokekar og filter, kan også bringe smitte av blodbårne infeksjoner; om enn i langt mindre grad enn sprøytespiss og stempel. Å vaske huden med sprit eller klorheksidin forhindrer bakterielle infeksjoner effektivt og de som desinfiserer huden før hver injeksjon halverer risikoen både for hudinfeksjon og endokarditt (19).
Konklusjon
Injeksjonsrelaterte infeksjoner er hyppige, og av og til livstruende komplikasjoner, til rusmiddelbruk. Norge har lykkes godt med skadereduserende tiltak, men populasjonen av sprøytebrukere er aldrende og mange er skrøpelige. Leger må møte disse pasientene fordomsfritt og med god kunnskap.
14. Whittaker R. Statusrapport om eliminasjon av hepatitt B og C som folkehelseproblem i Norge. Folkehelseinstituttet og helsedirektoratet. 2023.
15. Whittaker R, Midtbo JE, Klovstad H. Monitoring Progress Towards the Elimination of Hepatitis C as a Public Health Threat in Norway: A Modelling Study Among People Who Inject Drugs and Immigrants. J Infect Dis. 2024;230(3):e700-e11.
16. Opheim E, Dalgard O, Ulstein K, Sorli H, Backe O, Foshaug T, et al. Towards elimination of hepatitis C in Oslo: Cross-sectional prevalence studies among people who inject drugs. Int J Drug Policy. 2024;123:104279.
17. Platt L, Minozzi S, Reed J, Vickerman P, Hagan H, French C, et al. Needle and syringe programmes and opioid substitution therapy for preventing HCV transmission among people who inject drugs: findings from a Cochrane Review and meta-analysis. Addiction. 2018;113(3):545-63.
18. Opheim ED, O. Ulstein,K.Midgard,H. Malme, K. Injection related risk behaviour among people who inject drugs-results from cross-sectional prevalence studies in Oslo conducted in 2002, 2018, 2021, 2022 and 2023.I. NHSU 2024 The 12th International conference on health and hepatitis in substance users 2024 2024.
19. Vlahov D, Sullivan M, Astemborski J, Nelson KE. Bacterial infections and skin cleaning prior to injection among intravenous drug users. Public Health Rep. 1992;107(5):595-8
På midten av 2010 tallet kom biologisk behandling for alvor inn som et viktig behandlingsalternativ mot alvorlig astma i Norge. Medikamentene har vært aktuelle for de pasientene hvor astma ikke har latt seg kontrollere på tross av optimalisering av konvensjonell astmabehandling. Effektene har vært lite undersøkt i Norge. Vi har gjennomført en retrospektiv kohortstudie blant pasienter som behandles med biologiske medikamenter mot alvorlig astma i Bergen og omegn.
Anders Fløymo, medisinstudent, Universitetet i Bergen Mads Frigstad, medisinstudent, Universitetet i Bergen
Bakgrunn
Astma er en vanlig kronisk lungesykdom med tungpust, piping og hoste som kliniske kjennetegn, der symptomene varierer i tid og intensitet. Diagnostisk for sykdommen er variabel luftveisobstruksjon (1), og estimert forekomst av astma i Norge er 5-6%, oftest som lettere sykdom (2).
Astma regnes ukontrollert ved dårlig symptomkontroll eller hyppige forverringer. Astmakontrolltest (ACT) er et vanlig brukt mål for symptomer i Norge, med skala 5-25 hvor skår <20 definerer dårlig symptomkontroll (3). Hyppige forverringer er definert som ≥2 forverringer som krever systemiske steroider og/eller ≥1 sykehusinnleggelse det siste året (1).
Alvorlig astma er definert som behandlingskrevende sykdom med høydose inhalasjonssteroider (ICS), og en tilleggskontroller (og/eller systemiske steroider) for å hindre ukontrollert sykdom, eller som er ukontrollert på tross av behandlingsregime svarende til GINA 4-5 (1, 4). Pasientene skal være nøye vurdert med hensyn på komorbiditeter, inhalasjonsteknikk og etterlevelse av behandling, og det skal ikke være andre årsaker til høyt symptomtrykk. Det er anslått at 3-8% av det totale antall astmapasienter lider av alvorlig astma (5). DSAR-rapporten (Dansk Svær Astma Register) fra 2022 angir at gruppen med alvorlig astma står for opptil 50% av det totale forbruk av helsetjenester blant alle med astma i den danske populasjonen (5).
Biologisk behandling av alvorlig astma med bruk av monoklonale antistoffer mot spesifikke inflammasjonsprosesser har vært mulig i Norge i snart 20 år. Per i dag er immunoglobulin E (IgE)-hemming (omalizumab), IL5-hemming (mepolizumab, benralizumab), IL-4/13-hemming (dupilumab) og TSLP-hemming (tezepelumab) alternativene på det norske markedet (6).
I juni 2023 startet inklusjonen til registeret Bergen alvorlig astmaregister (BSAR), med formål å etablere et kvalitets- og forskningsregister for pasienter på biologisk behandling mot alvorlig astma.
I denne artikkelen vil vi rapportere et års resultater fra BSAR, med formål om å beskrive effekten av biologisk behandling på astmakontroll i daglig norsk praksis.
Metode
Studien er en retrospektiv kohortstudie med “real-world data” hvor materialet er innhentet fra tidspunktet før oppstart av biologisk behandling (baseline), samt ved første polikliniske kontroll etter oppstarten (første visitt), som var i gjennomsnitt 12 måneder etter. Det er samlet inn data fra totalt 78 pasienter. Ikke alle hadde komplette datasett, noe som resulterer i varierende verdier for N i analysene, se tabell 1. Data er presentert som gjennomsnitt (standardavvik) for normalfordelte data og som median (persentiler) for ikke-normalfordelte data.
Kliniske karakteristika før og etter behandling presenteres i tabell 2. Fire parametere ble lagt til grunn for å vurdere om pasienten hadde gått i klinisk remisjon: ingen forverringer, ingen bruk av perorale steroider for sykdomskontroll, astmakontrolltest (ACT) ≥20 og forsert ekspirasjonsvolum ved 1 sekund (FEV1) ved spirometri ≥80% av forventet. To ulike definisjoner av klinisk remisjon ble brukt, en fire-kriterier-definisjon hvor alle kriteriene måtte være oppfylt og en tre-kriterier-definisjon som ekskluderte FEV1-parameteren (7). Totalt 58 pasienter hadde data på alle kriteriene ved første visitt, og er utgangspunkt for resultatene vedrørende klinisk remisjon. For å undersøke forskjell mellom baseline og første visitt ble det benyttet paret T-test for normalfordelte data, mens ikke-parametriske data ble undersøkt ved Wilcoxon Signed-rank test. Signifikansnivå ble satt til 0,05.
Antall pasienter (n)
Kvinne (%)
Alder (år)
Høyde (cm)
Kroppsmasseindeks
Røyker/tidligere røyker (%)
Allergisk rhinitt (%) a


44 (56%)
51 (±17)
172 (±10)
27,9 (±5,5)
37 (47%)
44 (56%)
Data presentert som gjennomsnitt (standardavvik) med mindre annet er oppgitt.
a Antall med nåværende eller tidligere indikasjon for allergisk rhinitt
Studien inkluderte pasientgruppen med alvorlig astma uten eksklusjonskriterier, ikke bare de best egnede for randomiserte studier.
N=60)π
Eosinofile i perifert blod (N=43) 0.4 (0.2, 0.5) 0.0 (0.0, 0.1) <0.001
(19, 90)
Astmakontrolltest (N=54) 12 (9, 15)
(14, 58)
(15, 23)
Antall sykehusinnleggelser a (N=59) 0 (0, 1) 0 (0, 0) 0.01
Forverringer (%) b (N=61) 54 (89%) 21 (34%)
Antall steroidekrevende forverringer c (N=56) 3 (2, 4) 0 (0, 1)
Data presentert som median (25, og 75 persentil) om ikke annet oppgitt.
¥ Wilcoxon Signed Ranked Test og paret t-test, avhengig om verdiene er normalfordelt eller ikke
π FEV1, Forsert ekspirasjonsvolum første sekund. FEV1 og FEV1 i % av forventet oppgitt som gjennomsnitt og standardavvik i parentes.
Ω FeNO, fraksjonert ekshalert nitrogenoksid.
a Antall sykehusinnleggelser for astma registrert ved baseline og første visitt
b Antall pasienter som har hatt forverring(er) ved baseline og første visitt
c Antall steroidekrevende forverringer for astma ved baseline og første visitt
Resultater
Tabell 2 viser ulike kliniske parametre før og etter biologisk behandling.
Median ACT økte fra 12 til 20 (p<0.001), se figur 1. Andelen pasienter som hadde en eller flere steroidekrevende forverringer gikk fra 89% til 34%. Median antall steroidekrevende forverringer gikk fra 3 til 0 (p<0.001).
FEV1 økte fra 2.46L til 2.68L (p<0.001), mens FEV1 i % av forventet økte fra 74% til 82% (p<0.001). 26% oppfylte alle fire kriteriene for klinisk remisjon ved første visitt. 40% oppfylte tre-kriterier-definisjonen. Videre var det 3,4% som ikke responderte på noen av kriteriene ved første visitt.
Diskusjon
Vi fant en signifikant økning av ACT hvor medianverdi ved første visitt var 20 som indikerer god symptomkontroll (3) hos majoriteten. Vi observerte også en betydelig reduksjon av både selvrapportert forverring og sykehusinnleggelse for
astma. Lignende resultat har vært vist i en rekke ulike studier, oppsummert i en japansk litteraturstudie (8). Vi definerte klinisk remisjon som en sammensatt variabel, etter modell av en britisk retrospektiv observasjons studie av pasienter behandlet med mepolizumab (7). Med denne definisjonen oppnådde henholdsvis 26% og 40% fire- og tre-kriterier-definisjonen av klinisk remisjon, noe som er sammenlignbart med resultatene fra Storbritannia på henholdsvis 30% og 37% (7). Tre-kriterie-definisjonen ekskluderer FEV1 som er fordelaktig, da kronisk remodellering ved langtkommen sykdom gjør en normalisering uoppnåelig. På den andre siden kan man argumentere for at en definisjon av klinisk remisjon bør inneholde en parameter for lungefunksjon.
Ettersom astmabehandling har til hensikt å minske symptomer og forverringer, kan det diskuteres
om en punktmåling av FEV1 er hensiktsmessig å ta i betraktning ved evaluering av biologisk behandling for alvorlig astma. I tidligere litteratur har det blitt vist at FEV1 er en sterk uavhengig prediktiv faktor for forverringer (9), i motsetning til ACT, som ikke kan predikere forverringer i samme grad (10). Blant de fire aktuelle parameterne vil også FEV1 være den mest objektive. Den signifikante økningen i FEV1 på 220ml vi så i denne studien kan ha bidratt til å redusere risikoen for forverringer, og vi støtter å benytte et sammensatt mål for effektevaluering av biologisk behandling.
Det er viktig å påpeke at det kan være flere grunner til det observerte resultatet utover den biologiske effekten av behandlingen. Pasientene i studien følges jevnlig ved en spesialisert astmapoliklinikk med dedikerte leger og lungesykepleiere. Den tettere oppfølgingen
ved å følges i registeret kan i seg selv gi bedre astmakontroll, og pasientene i oppfølging får veiledning i inhalasjonsteknikk av konvensjonell antastmatika. Dessuten kan det være en placeboeffekt av å bli satt på en ny medisin som virker inn på hvordan man oppfatter symptomtrykket av sykdommen.
Denne studien supplerer eksisterende litteratur ved å belyse situasjonen hos norske pasienter hentet fra den kliniske hverdagen med real-world data. Strenge inklusjonskriterier i RCT-studier ekskluderer en større del av pasientpopulasjonen som også vil kunne ha nytte av slik behandling. Eksempelvis er 47% av pasientgrunnlaget i vår studie røykere/tidligere røykere med betydelig røykeanamnese, en gruppe som ofte
Kilder:
1 Asthma GIf. Global Strategy for Asthma Management and Prevention 2023 [Available from: www.ginasthma. org
2 Granum BB, Nystad W. Astma og allergi: Folkehelseinstituttet; 2022 [Available from: https://www.fhi. no/he/folkehelserapporten/ikke-smittsomme/astmaallergi/?term=#om-astma-og-allergi.
3 Schatz M, Sorkness CA, Li JT, Marcus P, Murray JJ, Nathan RA, et al. Asthma Control Test: reliability, validity, and responsiveness in patients not previously followed by asthma specialists. J Allergy Clin Immunol. 2006;117(3):549-56
4 Holguin F, Cardet JC, Chung KF, Diver S, Ferreira DS, Fitzpatrick A, et al. Management of severe asthma: a European Respiratory Society/American Thoracic Society guideline. European Respiratory Journal. 2020;55(1):1900588
1: Blå illustrerer astmakontrolltest målt ved baseline, og oransje ved første visitt. Den markerte streken i boksene angir medianene. Boksen angir området fra 25 til 75 persentilen, og strekene utenfor angir minimum og maksimum målene. N=54.
ekskluderes fra RCT-studier (11). At våre data viser lignende lovende resultat, tyder på at også pasienter som ekskluderes fra RCT-studier har god effekt av behandlingen.
Reaksjoner på injeksjonssted har vært observert av denne type medisiner, og det har blitt rapportert utslett, kløe, hodepine og ryggsmerter (12), men i all hovedsak har de biologiske astmamedisinene vært svært bra tolerert og bivirkninger er sjeldne. Samtidig har disse medisinene ikke vært tilgjengelige lenge nok til at potensielle bivirkninger etter lengre tids bruk er kartlagt. Ettersom BSAR er startet for å kunne samle data i mange år fremover er dette potensielt et grunnlag for fremtidige studier, fortrinnsvis i samarbeid med det internasjonale astmaregisteret.
I årene fremover vil også forskning på mer persontilpasset behandling i valg av medikament, basert på bakenforliggende sykdomsmekanismer og medisinenes virkningsmåte, være et viktig supplement til dagens forskning.
Konklusjon Kliniske data fra BSAR viser svært lovende effekt av biologisk behandling på astmakontroll hos pasienter med alvorlig astma i form av færre forverringer og bedret symptomkontroll. Vi observerte klinisk remisjon hos 26-40%. Funnene stemmer godt overens med eksisterende litteratur, og vi har identifisert flere mulige innfallsvinkler for videre forskning på området.
Et behandlingsalternativ som har gitt pasienter med ukontrollert sykdom et helt nytt liv
5 Dansk Svær Asthma Register. Årsrapport 2022 [Available from: https://dsar.dk/reportstab/dsararsrapport-2022.pdf
6 Legemiddelhåndboka. L10.2.8 Monoklonale antistoffer 2023 [Available from: https://www.legemiddelhandboka.no/L10.2.8/Monoklonale_antistoffer
7 Pavord I, Gardiner F, Heaney LG, Domingo C, Price RG, Pullan A, et al. Remission outcomes in severe eosinophilic asthma with mepolizumab therapy: Analysis of the REDES study. Front Immunol. 2023;14:1150162
8 Nagase H, Suzukawa M, Oishi K, Matsunaga K. Biologics for severe asthma: The real-world evidence, effectiveness of switching, and prediction factors for the efficacy. Allergology International. 2023;72(1):1123
9 Kitch BT, Paltiel AD, Kuntz KM, Dockery DW, Schouten JP, Weiss ST, Fuhlbrigge AL. A Single Measure of FEV1 Is Associated With Risk of
Asthma Attacks in Long-term Follow-up. Chest. 2004;126(6):1875-82
10 Panettieri Jr RA, Chipps BE, Moore WC, Soong W, Carr WW, Kreindler JL, et al. Differing perceptions of asthma control and treatment effectiveness by patients with severe asthma and treating subspecialists in the United States. Journal of Asthma. 2022;59(9):1859-68
11 Principe S, Richards LB, Hashimoto S, Kroes JA, Bragt JJMHV, Vijverberg SJ, et al. Characteristics of severe asthma patients on biologics: a reallife European registry study. ERJ Open Research. 2023;9(3):00586-2022
12 Asthma and Allergy Foundation of America. Biologics for asthma treatment. [Hentet 19.nov 2024]. [Available from: https://aafa.org/asthma/asthma-treatment/ biologics-asthma-treatment/
Tezspire er indisert som tillegg til vedlikeholdsbehandling hos voksne og ungdom i alderen 12 år og eldre med alvorlig astma som er utilstrekkelig kontrollert til tross for høye doser inhalasjonskortikosteroider i tillegg til et annet legemiddel for vedlikeholdsbehandling.1
Utvalgt sikkerhetsinformasjon:
Vanlige bivirkninger er faryngitt, utslett, artralgi, reaksjon på injeksjonsstedet.1 Skal ikke brukes til å behandle akutte astmaeksaserbasjoner.1

Subkutan injeksjon
Et sentralt angrepspunkt i behandlingen av alvorlig astma2,3
TEZSPIRE (tezepelumab) er det første og eneste astmalegemiddelet som blokkerer TSLP* høyt oppe i inflammasjonskaskaden og virker på tvers av fenotyper og uavhengig av biomarkørnivå.2-6**
Vil du lære mer om et sentralt angrepspunkt for behandling av alvorlig astma?
*TSLP =Tymisk stromalt lymfopoietin **f.eks. blodeosinofiler, eosinofiler i luftvegsslimhinnene, IgE, FeNO, IL-5 og IL-13
Referanser
1. Tezspire SPC 4.1, 5.1, 4.8, 4.4. 2.Corren J, Parnes JR, Wang L et al. Tezepelumab in Adults with Uncontrolled Asthma. N Engl J Med 2017;377:936-46. 3. Menzies-Gow A, Corren J, Bourdin A et al. Tezepelumab in Adults and Adolescents with Severe, Uncontrolled Asthma Supplementary information. N Engl J Med 2021;384:1800-9. 4. Menzies-Gow A, Wechsler ME, Brightling CE. Unmet need in severe, uncontrolled asthma: can anti-TSLP therapy with tezepelumab provide a valuable new treatment option? Respir Res 2020;21:268. 5. Brusselle Guy, Koppelman GH. Biologic Therapies for Severe Asthma. N Engl J Med 2022;386:157-71. 6. Gauvreau GM, Sehmi R, Ambrose CS et al. Thymic stromal lymphopoietin: its role and potential as a therapeutic target in asthma. Expert Opin Ther Targets. 2020;24:777–92.

Indikasjon: Tezspire er indisert som tillegg til vedlikeholdsbehandling hos voksne og ungdom i alderen 12 år og eldre med alvorlig astma som er utilstrekkelig kontrollert til tross for høye doser inhalasjonskortikosteroider i tillegg til et annet legemiddel for vedlikeholdsbehandling. Dosering: Anbefalt dose: 210 mg s.c. hver 4. uke. Tezspire er til langtidsbehandling. Minst 1 gang årlig bør det vurderes om behandlingen skal fortsette, basert på nivået av astmakontroll. Ved glemt dose, skal denne administreres så fort som mulig. Deretter kan doseringen gjenopptas på neste planlagte administrasjonsdag. Dersom det allerede er tid for neste dose, skal den administreres som planlagt. Dobbel dose skal ikke administreres. Behandling skal initieres av lege med erfaring med diagnostisering og behandling av alvorlig astma. Vanlige bivirkninger: Faryngitt, utslett, artralgi, reaksjon på injeksjonsstedet. Forsiktighetsregler: Skal ikke brukes til å behandle akutte astmaeksaserbasjoner. Astmarelaterte symptomer eller eksaserbasjoner kan oppstå. Pasienten bør instrueres om å oppsøke lege hvis astmaen forblir ukontrollert eller forverres. Brå seponering av kortikosteroider etter behandlingsoppstart anbefales ikke. Eventuell dosereduksjon av kortikosteroid bør skje gradvis under legeoppsyn. Overfølsomhetsreaksjon/anafylaksi kan oppstå innen noen timer, men også noen dager, etter administrering. Anamnese med anafylaksi (ikke relatert til Tezspire ) kan være en risikofaktor.Pasienter skal overvåkes i passende tid etter administrering. Alvorlige infeksjoner bør behandles før oppstart av behandling. Ved utvikling av alvorlig infeksjon under behandling, bør behandlingen seponeres inntil denne er over. Pasienten skal informeres om å oppsøke øyeblikkelig legehjelp ved tegn/symptomer på kardiovaskulær hendelse. Ved utvikling av alvorlig kardiovaskulær hendelse bør behandlingen seponeres inntil den akutte hendelsen er stabilisert. Helmintinfeksjon bør behandles før behandlingsoppstart. Hvis pasienten smittes under behandling og ikke responderer på antihelmintika, skal Tezspire seponeres til infeksjonen går over. Levende, svekkede vaksiner skal unngås. Graviditet og amming: Bruk under graviditet bør unngås med mindre forventet nytte for den gravide oppveier mulig risiko for fosteret. Risiko for nyfødte som ammes de første dagene etter fødsel kan ikke utelukkes. Basert på fordel av amming for barnet/fordel av behandling for mor må det tas en beslutning om Tezspire skal avsluttes/avstås fra i denne perioden. Pakninger og priser: Injeksjonsvæske, oppløsning i ferdigfylt penn (210 mg): 1 stk: kr. : 15 053,40. Injeksjonsvæske, oppløsning i ferdigfylt sprøyte (210 mg): 1 stk. kr. : 15 053,40
Reseptgruppe: C. Refusjon: H-resept.
Refusjonsberettiget bruk: Der det er utarbeidet nasjonale handlingsprogrammet/nasjonal faglig retningslinje og/eller anbefalinger fra RHF/LIS spesialistgruppe skal rekvirering gjøres i tråd med disse. Vilkår: 216 Refusjon ytes kun etter resept fra sykehuslege eller avtalespesialist. Tezspire inngår i RHF anbefalinger for alvorlig ukontrollert T2-høy astma. For legemidlene under skal denne rangering legges til grunn.
Voksne > 18 år:
1.valg: Fasenra (benralizumab) AstraZeneca AS
Ungdom: 12-18 år
1. valg: Tezspire (tezepelumab) AstraZeneca AS 2.valg: Tezspire (tezepelumab) AstraZeneca AS
2. valg: Nucala (mepolizumab) GlaxoSmithKline AS 3.valg: Nucala((mepolizumab) GlaxoSmithKline AS
3. valg: Dupixent (dupilumab) Sanofi-Aventis Norge AS 4.valg: Dupixent (dupilumab) Sanofi-Aventis Norge AS
Rangeringen skal følges ved oppstart og endring av behandling. Dersom pasienten av medisinske årsaker ikke kan bruke den rimeligste behandlingen, skal disse årsakene dokumenteres i pasientens journal. Komorbiditet skal i utgangspunktet ikke tillegges vekt ved valg av medikament. Vedtaket gjelder i perioden 01.09.2024- 31.03.2026
Beslutning i Beslutningsforum for nye metoder 18.03.2024. Tezepelumab (Tezspire) innføres som tillegg til vedlikeholdsbehandling ved alvorlig astma med eosinofili hos voksne og ungdom i alderen 12 år og eldre som er utilstrekkelig kontrollert til tross for høye doser inhalasjonskortikosteroider i tillegg til et annet legemiddel for vedlikeholdsbehandling.
For fullstendig informasjon, les TEZSPIRE SPC på www.felleskatalogen.no NO-12883-09-2024-TEZ
Norske indremedisinere har stor glede og nytte av Indremedisineren (IM). IM bidrar til faglig utvikling og er både et viktig bindeledd i miljøet, og mellom styret i NIF og det enkelte medlem.
Redaksjonen og alle bidragsytere jobber på dugnad. Dere annonsører bidrar til at vi kan utgi et flott IM og at vi kan drifte indremedisineren.no, der trafikken er sterkt økende. Uten deres hjelp hadde det ikke vært mulig.
Vi håper det gode samarbeidet fortsetter, og at dere blir med videre!





































Spontan koronar arteriedisseksjon (SCAD) er en ikkearterosklerotisk årsak til akutt hjerteinfarkt. Tilstanden er vanligst hos kvinner. Tilstanden er forbundet med arterielle muskel og bindevevssykdommer og karbetennelsestilstander, og det er økt forekomst etter fødsel og ved emosjonelt eller fysisk stress. Det sees ikke typiske risikofaktorer for hjerte og karsykdom, men hypertensjon kan forekomme. Diagnostisering av SCAD er viktig, siden behandlingen og oppfølgingen er annerledes enn ved et vanlig hjerteinfarkt.
Bogale, overlege PhD, Hjerteavdelingen, Haukeland universitetssjukehus
Patogenese, etiologi og risikofaktorer
Spontan koronararteriedisseksjon (SCAD) er en ikke-aterosklerotisk årsak til akutt koronart syndrom som oppstår når en spontan intramural blødning medfører separasjon av intima fra underliggende karsegment i koronararterieveggen (1). Iskemi og akutt myokardinfarkt oppstår når hematomdannelse i tunica media (falsk lumen) obstruerer ekte lumen (2), som demonstrert i figur 1.
Det er to hovedhypoteser som brukes for å forklare den patofysiologiske mekanismen bak hendelsen: innsideut-hypotesen og utside-inn-hypotesen. Innside-ut-hypotesen hevder at hematomutbredelsen starter i ekte lumen og entrer det subintimale rommet, mens utside-inn-hypotesen postulerer at hematomet oppstår de novo i media, sannsynligvis av kryssende mikrokar (3). Bilde diagnostikk i form av optical coherence tomo -
graphy (OCT) antyder et høyere trykk i den falske lumen som støtte for antagelsen om fenestrasjon fra utside-inn til ekte lumen (4).
SCAD rammer hovedsakelig yngre til middelaldrende kvinner (1, 2). Etiologien bak tilstanden er sannsynligvis multifaktoriell. Kjønn, genetikk og fysiske og emosjonelle stressituasjoner dominerer årsaksbildet (5). SCAD forekommer hovedsakelig hos kvinner rundt menopausen, men det forekommer både hos nullipara, gravide, postpartum, multipara og postmenopausale kvinner (1, 6). Svangerskapsrelatert SCAD (P-SCAD) inntreffer vanligvis i de første 6 månedene postpartum med få tilfeller i svangerskapsperioden (7). Komplisert presentasjon i form av kardiogent sjokk og vedvarende reduksjon av venstre ventrikkelfunksjon forekommer oftest ved P-SCAD (8) Observasjonen om at det er overvekt av kvinner som rammes av SCAD samt forekomst av SCAD i

Current state of the science: A scientific statement from the American Heart Association. Circulation 2018; 137: e523-e57. Illustrasjon: Abigail Bogale
forbindelse med eller rett etter fødsel, reiser spørsmål om involvering av kjønnshormoner (6).
Flere rapporter har avdekket at det er assosiasjon mellom fibromuskulær dysplasi (FMD) og SCAD. FMD er en idiopatisk arteriopati uten aterosklerose som har morfologiske karakteristika med multifokalt mønster (string-of beads) (5) (se figur 2).
Ved bekreftet SCAD diagnose er det hensiktsmessig å kartlegge cervicoencefale, renale og iliofemorale arterier for FMD. Derfor screener man for tilstanden når SCAD-diagnosen er bekreftet. Dette gjøres vanligvis med CT-angiografi av aorta, halskar og bekkenkar. FMD kan føre til stenoser, aneurismer, disseksjon eller slyngede kar i de fleste arterier, men tilstanden rammer typisk renale, cervicoencefale og iliacale arterier. FMD, SCAD og arteriosklerotisk koronararteriesykdom er assosiert med en enkelt nukleotidpolymorfisme, rs9349379, i locus PHACTRl/EDNl på kromosom 6q24 (9). Andre bindevevssykdommer som er assosiert med SCAD er Ehlers-Danlos syndrom, Marfan syndrom og Loeys-Dietz syndrom. Det er også rapporter som viser assosiasjon med autoimmune sykdommer inkludert systemisk lupus erythematosus (SLE), sarkoidose og inflammatorisk tarmsykdom (10).
Både fysisk og emosjonelt stress er rapportert å være forutgående faktorer for SCAD. Emosjonelt stress og økning i katekolaminer kan påvirke arterielt stress og disponere for intimaruptur (5).
Prevalens, diagnose og behandling SCAD-forekomst er rapportert hos mellom 1-4 % av pasienter som gjennomgår selektiv koronar angiografi for akutt koronart syndrom. Diagnosen er vanlig hos kvinner som angiograferes for akutt koronart syndrom under 60 år (5).
Diagnosen SCAD settes ved selektiv koronarangiografi. Det finnes tre angiografiske typer ifølge Yip-Sawklassifisering: type 1, type 2 og type 3 (11), som illustrert i figur 3. Type I karakteriseres ved kontrastpenetrasjon over i falsk lumen som noen ganger gir et dobbel lumenutseende. Type II ser ut som diffus stenose av ulik grad som i noen tilfeller viser distal utbredelse. Dette er den mest vanlige formen. Type III ligner på vanlig aterosklerose og betegnes som «mimicker» og kan være utfordrende å diagnostisere. Lengde av lesjonen som vanligvis er mellom 11-20 mm, er patognomonisk for SCAD (12). Behovet for intrakoronar bildefremstilling i form av intravaskulær ultralyd (IVUS) eller optisk koherenstomografi (OCT) er større ved type III-SCAD grunnet diagnostisk utfordring.
På grunn av mangel på randomiserte studier mangler anbefaling om akuttog langtidsbehandling samt konkrete retningslinjer for SCAD. Revaskularisering ved stabil SCAD er assosiert med komplikasjoner og dårligere prognose enn ved revaskularisering ved aterosklerotisk hjerteinfarkt (13). Derfor er revaskularisering anbefalt kun hos utvalgte pasienter med hemodynamisk instabilitet eller pågående iskemi i form av ST-elevasjon/okklusjon av proksimale karavsnitt. Flere rapporter viser at de fleste SCAD-tilfeller tilheler spontant under observasjonsperioden ved konservativ tilnærming (10, 13-15). Spontan tilheling av 86,3 % av lesjonene er rapportert, avhengig av tiden til kontrollangiografi. Ved kontrollangiografi utført etter 30 dager var tilhelingsraten over 95 % (16) (figur 4). Derfor er det hensiktsmessig å utføre kontrollangiografi ca. 6 uker etter hendelsen.
Perkutan koronar intervensjon (PCI) medfører risiko for komplikasjoner i form av disseminering av disseksjon i samme karavsnitt eller





utbredelse til annet karavsnitt (13-17). Studier rapporterer suksess rate for PCI (etablering av normal epikardial blodstrøm uten gjenværende disseksjon) i 36 til 43 % av tilfellene (5, 18). Nyere rapporter viser at bruk av cutting-balloon-angioplastikk i disseksjonsområdet med fenestrering av falsk lumen tillater blodstrøm tilbake til det sanne lumen, og gir gode resultater (19, 20). Koronar bypasskirurgi (CABG) bør vurderes hos klinisk ustabile pasienter med venstre hovedstamme-disseksjon eller affeksjon av flere karavsnitt. Slik kompleks og utbredt disseksjon observeres oftere hos P-SCAD pasienter, og derved er det behov for CABG oftere enn ellers (21).
Fare for iatrogen koronar disseksjon er tilstede ved kontrollangiografi av pasienter med SCAD (22). Derfor er det hensiktsmessig å vurdere CT koronar angiografi som kontrollmetode, selv om dette krever mer analysearbeide og klinisk erfaring i tolking av CT-bildene. Antitrombotisk behandling ved akutt presentasjon av SCAD er omdiskutert grunnet intramural blødning, hvor slik behandling potensielt kan utvide disseksjonen (10, 11). Det debatteres fremdeles om hva som er hensiktsmessig i forhold til blodplatehemming ved SCAD: singel (SAPT) versus dobbel blodplatehemming (DAPT). En enkel rapport viser bedre utfall ved bruk av SAPT hos pasienter som behandles konservativt (23). Pasienter som behandles med stent bør få DAPT.
Referanser
1. Hayes SN, Tweet MS, Adlam D et al. Spontaneous coronary artery dissection: JACC state-of-the-art review. J Am Coll Cardiol 2020; 76: 961-84.
2. Saw J, Starovoytov A, Humphries K et al. Canadian spontaneous coronary artery dissection cohort study: in-hospital and 30-day outcomes. Eur Heart J 2019; 40: 1188-97.
3. Waterbury TM, Tweet MS, Hayes SN et al. Early natural history of spontaneous coronary artery dissection. Circ Cardiovasc Interv 2018; 11: e006772.
4. Jackson R, Al-Hussaini A, Joseph S et al. Spontaneous coronary artery dissection: pathophysiological insights from optical coherence tomography. JACC Cardiovasc Imaging 2019; 12: 2475-88.
5. Saw J, Aymong E, Sedlak T et al. Spontaneous coronary artery dissection: association with predisposing arteriopathies and precipitating stressors and cardiovascular outcomes. Circ Cardiovasc Interv 2014; 7: 645-55.
6. Elkayam U, Jalnapurkar S, Barakkat MN et al. Pregnancy-associated acute myocardial infarction: a review of contemporary experience in 150 cases between 2006 and 2011. Circulation 2014; 129: 1695-702.
7. Chan N, Premawardhana D, Al-Hussaini A et al. pregnancy and spontaneous coronary artery dissection: lessons from survivors and nonsurvivors. Circulation 2022; 146: 69-72.
8. Chen S, Merchant M, Mahrer KN et al. Pregnancy-associated spontaneous coronary artery dissection: clinical characteristics, outcomes, and risk during subsequent pregnancy. J Invasive Cardiol 2021; 33: E457-E66.
9. Adlam D, Olson TM, Combaret N et al. Association of the
Bruk av betablokker kan potensielt redusere re-disseksjon ved å redusere stress på koronararterieveggen via reduksjon av kontraktilitet, hjertefrekvens, blodtrykk og utslipp av katekolaminer (18). Bruk av angiotensin-konverterende enzym (ACE)-hemmere bør forbeholdes SCAD-pasienter med redusert venstre ventrikkkelfunksjon, og bruk av kolesterolsenkende medisiner anbefales kun til pasienter med dyslipidemi (18).
Prognose og oppfølging Pasienter som gjennomgår og overlever SCAD har generelt en god prognose. Uønskede hendelser (kombinert utfall av dødelighet, hjerneinfarkt, residiv-SCAD, kardiogent sjokk, hjertesvikt og hjertestans) med median sykehusinnleggelse på 4 dager var rapportert hos ca. 9 % (2, 18). Langstidsoppfølging viser at residiv av SCAD inntreffer hos ca. 10,4 %, hvor hypertensjon og manglende bruk av betablokker peker seg ut som viktige risikofaktorer (18). Kvinner som har migrene og FMD er mer utsatt for residiv av SCAD enn andre (24).
Hjerterehabilitering med multidisiplinær tilnærming i form av trening, psykososial rådgiving, opplæring i kardiovaskular sykdom og riktig kosthold, oppfattes som trygt og er ikke beheftet med økende fare for uønskede hendelser (25). Individualisert kondisjonstreningsprogram etter oppstart av antipressor farmakologisk behandling hvor man kan
PHACTR1/edn1 genetic locus with spontaneous coronary artery dissection. J Am Coll Cardiol 2019; 73: 58-66.
10. Hayes SN, Kim ESH, Saw J et al. Spontaneous coronary artery dissection: current state of the science: a scientific statement from the American Heart Association. Circulation 2018; 137: e523-e57.
11. Yip A, Saw J. Spontaneous coronary artery dissection - A review. Cardiovasc Diagn Ther 2015; 5: 37-48.
12. Chung WJ, Fang HY, Tsai TH et al. Transradial approach percutaneous coronary interventions in an out-patient clinic. Int Heart J 2010; 51: 371-6.
13. Tweet MS, Eleid MF, Best PJ et al. Spontaneous coronary artery dissection: revascularization versus conservative therapy. Circ Cardiovasc Interv 2014; 7: 777-86.
14. Tweet MS, Hayes SN, Pitta SR et al. Clinical features, management, and prognosis of spontaneous coronary artery dissection. Circulation 2012; 126: 579-88.
15. Nakashima T, Noguchi T, Haruta S et al. Prognostic impact of spontaneous coronary artery dissection in young female patients with acute myocardial infarction: A report from the Angina Pectoris-Myocardial Infarction Multicenter Investigators in Japan. Int J Cardiol 2016; 207: 341-8.
16. Hassan S, Prakash R, Starovoytov A et al. Natural history of spontaneous coronary artery dissection with spontaneous angiographic healing. JACC Cardiovasc Interv 2019; 12: 518-27.
17. Rogowski S, Maeder MT, Weilenmann D et al. Spontaneous coronary artery dissection: angiographic follow-up and longterm clinical outcome in a predominantly medically treated population. Catheter Cardiovasc Interv 2017; 89: 59-68.
18. Saw J, Humphries K, Aymong E et al. spontaneous coronary
trene ≥ 150 minutter fordelt over 3 dager per uke med eventuelt økning til 300 minutter (f.eks. tredemølle eller ergometersykkel), er trygt og anbefales. Man bør unngå roing, langrennski, fjelltur med tung sekk og høyintensitets intervalltrening. Tunge løft bør også unngås. Styrke og motstandstrening (kroppsvekt, frivekter og vektmaskiner) 1-2 ganger per uke kan prøves hvis det har gått greit med kondisjonstreningsøktene. Det er imidlertid viktig at man unngår isometriske øvelser, eksplosive kraftbevegelser, CrossFit og lignende (26).
Konklusjon
Pasienter med spontan koronar arteriedisseksjon har vanligvis god prognose med lav tilbakefallsrate. Konservativ behandling er førstevalg hos hemodynamisk stabile pasienter uten pågående iskemi. Hos de aller fleste pasienter heler lesjonene spontant i løpet av 5-6 uker. Singel blodplatehemming, beta-blokker dersom tolerert, ACE-hemmer og statin ved indikasjon anbefales. Hjerterehabilitering har vist forbedret prognose ved SCAD og kan med fordel tilbys pasientene. God informasjon og strukturert oppfølging er nødvendig for å berolige pasienter som vanligvis har flere spørsmål om tilstanden sin. Mer klinisk forskning av SCAD er ønsket for a optimalisere behandlingen.
Artikkelen er tidligere publisert i Hjerteforum nr. 3 2023 og trykkes med tillatelse.
artery dissection: clinical outcomes and risk of recurrence. J Am Coll Cardiol 2017; 70: 1148-58.
19. Main A, Lombardi WL, Saw J. Cutting balloon angioplasty for treatment of spontaneous coronary artery dissection: case report, literature review, and recommended technical approaches. Cardiovasc Diagn Ther 2019; 9: 50-4.
20. Sharma H, Vetrugno V, Khan SQ. Successful treatment of a spontaneous right coronary artery dissection with a 4-mm diameter cutting balloon: a case report. Eur Heart J Case Rep 2019; 3: 1-6.
21. Havakuk O, Goland S, Mehra A et al. Pregnancy and the risk of spontaneous coronary artery dissection: an analysis of 120 contemporary cases. Circ Cardiovasc Interv 2017; 10.
22. Fahey JK, Chew A, Ihdayhid AR et al. Women with spontaneous coronary artery dissection are at increased risk of iatrogenic coronary artery dissection. Heart Lung Circ 2021; 30: e23-e8.
23. Cerrato E, Giacobbe F, Quadri G et al. Antiplatelet therapy in patients with conservatively managed spontaneous coronary artery dissection from the multicentre DISCO registry. Eur Heart J 2021; 42: 3161-71.
24. Clare R, Duan L, Phan D et al. Characteristics and clinical outcomes of patients with spontaneous coronary artery dissection. J Am Heart Assoc 2019; 8: e012570.
25. Chou AY, Prakash R, Rajala J et al. The first dedicated cardiac rehabilitation program for patients with spontaneous coronary artery dissection: description and initial results. Can J Cardiol 2016; 32: 554-560.
26. Van Iterson EH, Laffin LJ, Svensson LG et al. Individualized exercise prescription and cardiac rehabilitation following a spontaneous coronary artery dissection or aortic dissection. Eur Heart J Open 2022; 2: oeac075.
TRANSTYRETIN AMYLOID KARDIOMYOPATI (ATTR-CM) ER EN UNDERDIAGNOSTISERT ÅRSAK TIL HJERTESVIKT1,2
ATTR-CM behandling med fem års overlevelsesdata 3
Etter 30 måneder reduserte Vyndaqel risiko vs. placebo for 4,‡:
Død uansett årsak


Kardiovaskulære sykehusinnleggelser


HR: 0,70 (95 % KI: 0,51-0,96)



Relativ risikoratio: 0,68 (95 % CI 0,56-0,81)
Etter fem år var relativ risikoreduksjon for død uansett årsak 41 % (HR: 0,59 (95% KI: 0,44-0,79))3

www.pfi.sr/behandle
Se Einar Gude sitt foredrag: Hvem skal behandles for ATTR hjerteamyloidose og hvordan?
▼Vyndaqel® (tafamidis) 61 mg er indisert til behandling av villtype eller arvelig transtyretin amyloid kardiomyopati (ATTR-CM). Anbefalt dosering er 1 kapsel 1 gang daglig. Forsiktighet anbefales ved alvorlig nedsatt leverfunksjon. Kan gi interaksjoner ved klinisk relevante konsentrasjoner med BCRP-substrater (f.eks. metotreksat, rosuvastatin, imatinib). Utvalgte bivirkninger: Økte verdier i leverfunksjonsprøver og reduksjon i tyroksin kan forekomme. Pris: Det er fremforhandlet en konfidensiell, kostnadseffektiv pris til norske helseforetak og enkelte private sykehus. Denne er betydelig lavere enn maksimal utsalgspris i apotek, som er kr 195058,40.
Pakning: Myke kapsler, 30 stk. Reseptgruppe: C. Refusjon: H-resept. ICD10: E85
Kriterier for forskrivning på H-resept:
• Oppstart av behandling kan kun gjøres av kardiolog med erfaring i behandling av transtyretin amyloidose (ATTR), ansatt ved universitetssykehus eller annet helseforetak med kardiologisk enhet med kompetanse på behandling for denne pasientgruppen.
• Pasienten må ha en sikkert diagnostisert ATTR kardiomyopati, vanligvis med nukleærmedisinsk påvist amyloid i myokard. Pasienten skal ved oppstart være i NYHAklasse I eller II.
• Pasienten skal ha en forventet gjenstående levetid betydelig over 18 måneder.
• Ved progresjon til vedvarende (minst 6 måneder) NYHA-klasse III, skal beslutning om å fortsette behandlingen tas i samråd med kardiolog med erfaring i behandling av ATTR, ansatt ved universitetssykehus eller annet helseforetak med kardiologisk enhet med kompetanse på behandling for denne pasientgruppen.
• Ved rask progresjon til vedvarende NYHA-klasse III i løpet av 6 måneder etter initiert behandling, bør behandlingen avsluttes.
Før forskrivning, konsulter preparatomtalen på www.legemiddelsok.no
‡Hjertetransplantasjon, kombinert hjerte- og levertransplantasjon og hjertemekanisk hjelpemiddelimplantasjon (CMAD) ble behandlet som likeverdig med død i denne analysen. ATTR-ACT=Tafamidis in Transthyretin Cardiomyopathy Clinical Trial; TTR=Transtyretin; HR=Hazard ratio Referanser: 1. Witteles RM, et al. JACC Heart Fail. 2019;7(8):709-716. 2. Maurer MS, et al. J Am Coll Cardiol. 2016;68(2):161-172. 3. Eliott P, et al. Long-term survival with tafamidis in patients with transthyretin amyloid cardiomyopathy. Circ Heart Fail. 2022;15:4-11. 4. Maurer MS, et al. N Engl J Med. 2018;379(11):1007-1016.


Her formidles dagens endokrinologiske praksis ved Nasjonal behandlingstjeneste for kjønnsinkongruens (NBTK) ved Rikshospitalet, OUS. Hormonbehandling ved kjønnsinkongruens tar utgangspunkt i dagens kunnskapsgrunnlag. Den er også tilpasset hvilke medikamenter som er tilgjengelige i Norge, og hvordan helsetjenesten er organisert.
Sandra Dis Steintorsdottir, overlege, Avdeling for endokrinologi, sykelig overvekt og forebyggende medisin, Oslo universitetssykehus; stipendiat, Klinisk institutt 2, Universitetet i Bergen; Medisinsk avdeling, Haukeland universitetssykehus.
Johan Arild Evang, overlege, Ph.d., Avdeling for endokrinologi, sykelig overvekt og forebyggende medisin, Oslo universitetssykehus.
Hva er kjønnsinkongruens?
Kjønnsinkongruens (KI) karakteriseres av manglende samsvar mellom kjønnsidentitet og tildelt kjønn ved fødsel. Kjønnsdysfori defineres som sterkt ubehag knyttet til dette manglende samsvaret. Personer med kjønnsinkongruens ønsker ofte støtte av hormonbehandling og/eller kirurgi for å oppnå aksept, og for å kunne leve som en person av det opplevde kjønnet. Gruppen er svært heterogen, og mange oppsøker ikke helsehjelp. Ulike nasjonale og internasjonale prevalenstall spriker voldsomt, avhengig av utvalg, alder, spørremetode osv.
Utredningen er en spesialistoppgave der to uavhengige psykologspesialister/ leger med spesialkompetanse skal være enige om diagnosen, og pasienten drøftes i tverrfaglig team før diagnosen stilles [1]. I dag diagnostiseres og behandles KI ved Nasjonal behandlingstjeneste for kjønnsinkongruens (NBTK) på Rikshospitalet. Noen får også tilbud om kirurgi, men dette temaet dekkes ikke her. Helsedirektoratets retningslinjer fra 2020 vektlegger et differensiert, desentralisert og helhetlig helsetilbud. Hjelpemidler, samtaler og annen ikke-medikamentell helsehjelp blir gradvis mer tilgjengelig.
En utfordring, på verdensbasis, er manglende konsensus om diagnostisering og tidspunkt for igangsetting av kjønnsbekreftende hormonbehandling.
Kjønnsinkongruens har tidligere vært regnet som en psykiatrisk diagnose, men er i dag definert av WHO som en del av et normalt kjønnsmangfold. Hvordan, eller hvorfor tilstanden
oppstår, er fortsatt ikke kjent. Gruppen har overhyppighet av lidelser som angst, depresjon, selvskading, suicidalitet og nevrologiske utviklingsforstyrrelser som ADHD og autismespekter lidelser [2-5]. I en norsk nasjonal spørreundersøkelse fra 2020 rapporterte personer med kjønnsinkongruens markant dårligere levekår enn bakgrunnsbefolkningen, samt erfaringer med ulike former for diskriminering og trakassering [6]. Studien har blitt kritisert for metodologiske svakheter.
Behandlingen er individualisert, og baseres seg først og fremst på hjelp til å mestre situasjonen, behandlingshjelpemidler, samt sosial-, psykisk- og juridisk støtte [7]. Prinsippet er minst mulig inngripende tiltak som tilfredsstiller pasientens behov. Helsepersonell oppmuntres til inkluderende språk (se https:// www.bufdir.no/nasak/laer-deg-noennye-ord-og-vis-din-stotte/#58093 og https://www.bufdir.no/likestilling/ lhbtiq-ordlista/ ) og å spørre hvilket navn og personlig pronomen pasienten ønsker vi bruker.
Ifølge Standards of Care 8 (SOC8), av verdens helseorganisasjons for transpersoner (WPATH) må pasienten møte følgende kriterier for kjønnshormonbehandling (egen over settelse til norsk) [4]:
A) Manglende samsvar mellom pasientens kjønnsidentitet/ kjønnstilhørighet, har vedvart over tid.
B) Tilstanden er forbundet med klinisk signifikant lidelse inkludert redusert funksjon: Psykisk, sosialt, familiært, utviklingsmessig, økonomisk (utdannings -
messig, sysselsetting, arbeidsliv) eller andre viktige livsområder. C) Kan ikke forklares ut ifra psykisk lidelse alene.
Organisering av helsetjenesten De siste 15 årene har Nasjonal behandlingstjenesten for kjønnsinkongruens opplevd en stor økning i antall henvisninger for kjønnsinkongruens (KI). Helsetilbudet til gruppen har måtte forbedres og revideres.
I 2020 publiserte Helsedirektoratet en anbefaling om desentralisering av helsetilbudet til personer med kjønnsinkongruens. De regionale helseforetakene fikk i oppdrag å etablere et helhetlig behandlingstilbud med regionale sentre. Både norsk endokrinologisk forening og Helsedirektoratet selv har vært klare på at de ikke har skrevet en retningslinje om behandlingstiltak, selv om den kalles en Nasjonal faglig retningslinje (www.aftenposten. no/meninger/debatt/i/zGdMBw/ ny-retningslinje-sikrer-bedrehelsetjenester-for-personer-medkjoennsinkongruens).
Dessverre er kunnskapsgrunnlaget begrenset på dette feltet, spesielt når det gjelder risiko for skadelige bivirkninger av hormonbehandling på sikt. Muligheter for gode randomiserte studier er lite. De vurderingene vi gjør, og de råd vi deler her, er mye basert på erfaring. De vil, og må, endres etter hvert som kunnskap og dokumentasjon øker. Det er ikke en indremedisinsk oppgave å starte hormonbehandlingen. Det gjøres ved NBTK etter at behandlere har gitt diagnosen kjønnsinkongruens, og
Utvikling / effekt:
Brystvekst
Omfordeling av kroppsfett
Mykere hud
Minsket muskelmasse / muskelstyrke
Noe bremset vekst av kropps- og ansiktshår
Stopping av androgen alopeci (hårtap i hodebunnen)
Mesteparten av utviklingen er nådd i løpet av det første 1-2 årene, utvikling av «hofter» kan ta opptil 5 år
Bivirkning / uønsket effekt / ikke like ønsket effekt / risiko:
Nedsatt fertilitet
Reduksjon i antall spontane ereksjoner
Ereksjonssvikt
Redusert sædproduksjon
Redusert libido
Redusert testikkelvolum
Lavere blodtrykk
Hb senking til kvinnelig nivå
Vektoppgang
Metabolsk påvirkning (høyere HDL, høyere LDL og triglyserider)
Psykisk destabilisering
Høyere prolaktin* (kun ved cyproteronacetat behandling)
Sannsynligvis økt risiko for venøs tromboembolisme
Når andre risikofaktorer er tilstede er risikoen for kardiovaskulær sykdom, hjerneslag og type 2 diabetes sannsynligvis økt
Sannsynligvis økt risiko for meningeom (kun ved cyproteronacetat behandling)
Gallestein
Polyuri / dehydrering**
Hyperkalemi**
* Prolaktin trenger normalt ikke monitoreres med mindre pasienten har plager
** Kun ved spironolakton behandling
anbefalt oppstart. Det er likevel nyttig at vi kjenner til behandlingen og forventede resultater. Alle medikamenter som brukes er utenfor godkjent preparatomtale, og forskriving innebærer et spesielt ansvar.
Hormonbehandling
Hormonbehandling synes å forbedre livskvalitet og psykososial funksjon, samt lindre kjønnsdysfori [2]. Imidlertid er evidensgrunnlaget, særlig for langtidseffektene av hormonbehandling, begrenset. En nasjonal registerbasert studie fra Danmark viste at maskuliniserende hormonbehandling var assosiert med økt sjanse for å være aktiv på arbeidsmarkedet, mens feminiserende hormonbehandling ikke viste det samme [8].
Endokrinologer ved NBTK tilbyr hormonbehandling til begge grupper, dersom det anbefales av utredningsteamet, og pasienten ikke har somatiske kontraindikasjoner (jf. nedenstående utdypning). For øyeblikket henvises utredningsteamet kun personer med binær kjønnsidentitet (mann/kvinne) til hormonbehandling, da dokumentasjonen for nytteeffekt for andre grupper er utilstrekkelig. Før oppstart får pasienten informasjon om fertilitetspåvirkning, og muligheter for å høste
og lagre kjønnsceller, om de ønsker det. Endokrinologen vurderer også eventuelle risikoer ved, eller kontraindikasjoner mot, hormonbehandling, som venøs tromboembolisme (VTE) hos pasient eller nær familie, eller kjønnshormonavhengig kreft.
Anbefalte rutineblodprøver før oppstart av hormonbehandling inkluderer Hb, EVF, ALAT, kreatinin, natrium, kalium, kalsium, total kolesterol, LDL-kolesterol, HDL-kolesterol, triglyserider, glukose (eventuelt HbA1c), TSH, testosteron, østradiol, prolaktin, SHBG, LH og FSH. Om aktuelt tas også ferritin, folsyre, B12 og stoffskifteprøver.
Hvis ingen kontraindikasjoner finnes, kan behandlingen starte.
Pasienten bør informeres om at behandlingen kan gi mindre fenotypiske endringer enn forventet. For eksempel vil de fleste som gjennomgår feminiserende hormonbehandling oppnå brystvekst tilsvarende cup AAA [9]. Enkelte effekter, som dypere stemme ved testosteronbehandling, er irreversible. Hos personer som allerede har gjennomgått biologisk pubertet, starter man vanligvis direkte med en voksen substitusjonsdose av hormoner, tilpasset vekt.
Mann til kvinne (MtK); feminiserende hormonbehandling Østradiol og antiandrogen startes samtidig. Feminiserende utvikling består hovedsakelig av omfordeling av kroppsfett, mykere hud, minsket muskelmasse eller -styrke, uttynning og bremset vekst av kropps- og ansiktshår, og opphør av androgen alopesi (Se tabell 1). De fleste opplever vektoppgang. Behandlingen gir vanligvis noe brystvekst, men ofte mindre enn ønsket. Øvrige effekter, som kan både oppleves som ønskelige og ikke-ønskelige er ereksjonssvikt, redusert libido, og redusert testikkelvolum. Ved spironolaktonbehandling kan blodtrykk reduseres, og vannlatingen bli hyppigere. LDL- kolesterol, triglyserider og prolaktin stiger ofte og Hb blir lavere. Behandlingen gir redusert sædproduksjon, men er ikke en sikker prevensjon. Det er etablert tilbud om nedfrysning av sæd før oppstart med østrogenbehandling. Dette gjøres på Andrologisk laboratorium OUS (universitets sykehus.no/avdelinger/ kvinneklinikken/reproduksjonsmedisinsk-avdeling/andrologisk-lab)
Preparater med 17-beta-østradiol brukes fremfor etinyløstradiol grunnet lavere risiko for VTE, og fordi det kan måles i blodprøver. Transdermal
Tabell 2. Foretrukne østradiol preparater ved feminiserende hormonbehandling.
Form Preparatnavn Typisk startdose*
Plaster Estradot
Gel Estrogel
100 µg/24 timer, plaster byttes to faste ukedager
1 trykk x 2 (0,75 mg/dose)
Spray Lenzetto 1 spray x 2 (1,53 mg/spray)
Tablett Progynova 4 mg x 1
*Lavere ved lav vekt og/eller asiatisk herkomst.
** En del kommer ikke opp i østradiol målnivå på Lenzetto, vurder skifte til plaster eller gel.
Typisk vedlikeholsdose*
100–200 µg/24 timer, plaster byttes to faste ukedager
2 trykk x 2
2 +1 spray** (maks 3 trykk)
4 mg x 2
Tabell 3. Foretrukne antiandrogen preparater ved feminiserende hormonbehandling.
Antiandrogen
Cyproteronacetat (CPA), tablett Androcur
Spironolakton, tablett
østradiol foretrekkes fremfor peroral behandling, og brukes hos alle > 40 år eller ved lett økt risiko for VTE.
Aktuelle preparater er listet i tabell 2.
Absolutte kontraindikasjoner mot østradiolbehandling er bl.a. aktiv eller nylig gjennomgått arteriell tromboembolisk sykdom (f.eks. angina), tidligere venøs tromboembolisme (VTE) grunnet underliggende hyperkoagulable tilstand, homozygot faktor V Leiden, østrogen-sensitiv neoplasi, uttalt fedme og hudsykdommen porfyria cutanea tarda. Relative kontraindikasjoner er alder >55 år, gallestein og hypertriglyseriemi.
Vedrørende valg av antiandrogen (se tabell 3)
Cyproteronacetat (CPA, Androcur®) er et godt alternativ for yngre pasienter med god effekt og lite bivirkninger. CPA er et syntetisk progesteron med gonadotropinog androgenhemmende effekter. Prolaktin stiger ved behandlingen grunnet stimulering av laktotrope celler i hypofysen. Det er påvist sammenheng mellom kumulativ dose Androcur og meningeomrisiko [10], hovedsakelig ved daglige doser >25 mg [11]. Den absolutte risikoen for meningeomutvikling er svært lav med anbefalte doser. Androcur er ikke brukt i USA grunnet kasuistikker med fatal leversvikt ved høye doser. Nyere epidemiologiske studier har vist lett økt risiko for VTE og hjertekarsykdom [12, 13] av Androcur, men denne sammenhengen må undersøkes nærmere.
25 mg to faste dager pr uke
12,5mg to faste dager pr uke
Spirix, Spironolacton 100 mg x 1 100–200 mg daglig
Spironolakton er trolig det mest brukte antiandrogenet på verdensbasis. Det virker som en relativt svak hemmer av steroidogenesen i testikler og binyrer ved å hemme enzymene 17α-hydroxylase og 17,20-lyase. I tillegg er spironolakton en androgenreseptor antagonist (svakere enn CPA), og en svak hemmer av enzymet 5-alfa reduktase (svakere enn finasterid). Sentrale bivirkninger er hyperkalemi, postural hypotensjon og økt diurese. Spironolaktondosen må som regel titreres opp, og nyrefunksjon og elektrolytter følges. Pasienten bør informeres om å ta pause med spironolakton ved dehydrering og alvorlig interkurrent sykdom.
Oppfølging ved NBTK: Første oppfølging finner sted om lag 6 måneder etter oppstart. Pasienten oppfordres imidlertid til å gå til fastlegekontroll (inkludert hormonprøver) etter ca. 3 måneder. Forslagsvis tas SHBG, testosteron (bør være målbart), LH, FSH, og «sikkerhetsprøver» (Hb, EVF, ALAT, kolesterol, triglyserid, HbA1c, kreatinin), samt vekt og BT. Videre kontroller er avhengig av behov, men bør skje minst en gang årlig. Ved kontroll vurderes feminiserende utvikling, psykisk stabilitet og eventuelle bivirkninger. Østradiol doseres slik at pasienten har et normalt kvinnelig syklisk nivå, forslagsvis mellom 0,35 og 0,70 nmol/l. Ved uventede prøvesvar vurderes å ta en kontrollprøve før ev. dosejustering. Det er viktig at pasienten tar sin ordinære østrogenmedisin før testing. Ved bruk av øst-
rogenplaster er det best å ta prøven midt mellom plasterskift. På sikt er målet å gå over fra peroral østrogen til transdermal, da det sannsynligvis gir lavere VTE risiko.
En søker å bruke laveste effektive dose antiandrogen som hindrer ny maskulinisering. Ved god klinisk effekt trenger ikke testosteronnivået ligge helt nede i normalt kvinnelig nivå. Når østradiolverdien har kommet opp i anbefalt nivå, vil om lag 40 % av MtK kan klare seg uten antiandrogen. Behandling med antiandrogen uten samtidig østradiol fører til iatrogen hypogonadisme, og anbefales ikke over tid.
Ved kjønnsbekreftende genital operasjon (vaginoplastikk/orkiektomi) seponeres antiandrogen, og østradiol monoterapi kontinueres.
Per i deg foreskriver vi ikke progesteron/ gestagen preparat som feminiserende behandling. Det forskes på bruk av mikronisert («naturlig») progesteron, men foreløpig er det begrenset dokumentasjon av gunstig effekt.
Kvinne til mann (KtM); maskuliniserende hormonbehandling
Testosteronbehandling gir maskuliniserende utvikling med dypere stemme og økt størrelse av klitoris. Disse endringene er permanente. Andre endringer er økt hårvekst i ansiktet og på kroppen, økt muskelmasse/ muskelstyrke og endret fettfordeling. Menstruasjon opphører, og libido kan
Tabell 4. Maskuliniserende hormonbehandling
Utvikling / effekt:
Dypere stemmeleie
Forstørret klitoris
Økt muskelmasse / muskelstyrke
Økt ansikts- og kroppsbehåring
Endret kroppsfett fordeling
Opphør av menstruasjonen
Grovere hud
Mesteparten av utviklingen er nådd i løpet av det første 1-2 årene, utenom endringer i hårvekst, fettfordeling og muskler kan ta opptil 5 år
Bivirkning / uønsket effekt / ikke like ønsket effekt / risiko:
Libido øker
Nedsatt fertilitet
Polycytemia
Fet hud / akne
Vektoppgang
Følelsesmessige endringer
Søvnapnoe
Androgen alopeci (hårtap i hodebunnen)
Vaginal slimhinneatrofi
Stemme tretthet
Ugunstig metabolsk påvirkning:
• Lavere HDL-kolesterol, høyere LDL-kolesterol og høyere triglyserider
• Høyere blodtrykk
• Økt insulinresistens
• Stigning av leverenzymer
Når andre risikofaktorer er tilstede er risikoen for kardiovaskulær sykdom og type 2 diabetes sannsynligvis økt
Tabell 5. Foretrukne testosteron preparater ved maskuliniserende hormonbehandling
Form
Intramuskulært
Transdermal gel
Testosteron undekanoat (Nebido)
Testavan (23 mg/pumpetrykk)
Tostran (10 mg/pumpetrykk)
Testogel (50 mg/dosepose)
*Lavere doser ved lav vekt anbefales.
øke kraftig. Øvrige effekter og bivirkninger er blant annet polycytemi, akne, vektoppgang, følelsesmessige endringer, androgen alopeci, vaginal slimhinneatrofi og ugunstig metabolsk påvirkning. Stemmetretthet (eng. vocal fatigue) er velkjent (tabell 4).
Testosteronbehandlingen kan administreres i enten gel- eller sprøyteform (tabell 5). Absolutte kontraindikasjoner er graviditet, amming, østrogen-sensitiv neoplasi (obs aromatisering), ustabil kransåresykdom og erytrocytose. Relative kontraindikasjoner er blant annet overvekt, alvorlig hypertensjon, cerebrovaskulær sykdom, iskemisk hjertesykdom, alvorlig hjerte-, levereller nyresvikt, epilepsi, migrene, søvnapné og trombofili.
Det er en samvariasjon mellom risiko for hjerte/kar-sykdom og hematokrit. Høy alder, kronisk
750–1000 mg (3–4 ml) hver 10–12. uke, unntatt andre dose settes 5–6 uker etter den første
750–1000 mg (3–4 ml) hver 10–12.uke
1 pumpetrykk x 1 1–3 pumpetrykk x 1
3 pumpetrykk x 1 3–6 pumpetrykk x 1
1 pose/daglig
obstruktiv lungesykdom, overvekt, søvnapné og røyking er assosiert med høyere hematokrit (EVF), og en bør vurdere bruk av testosterongel fremfor injeksjoner. Hemoglobinnivået øker typisk med 10-20 % på testosteronbehandling. KtM har ofte lavere vekt enn andre menn, og standarddose Nebido på 1000 mg hver 12. uke gir erfaringsmessig erytrocytose hos mange av dem. Vi bruker ofte lavere dose, og gjerne oftere. Det synes å gi mindre svingninger i effekt, og teoretisk sjeldnere akne. Ved NBTK anbefales det å vurdere årsak, justere Nebidodose og gå over til transdermal behandling ved EVF eller Hb over referansegrensen. Ved Hb > 18 g/dl eller EVF > 0,54 anbefaler Endocrine Society å stoppe behandlingen til hematokrit synker til et trygt nivå, vurdere pasienten for hypoksi og søvnapné, og etter hvert gjenoppta behandlingen med redusert dose [14]. Ved høy EVF kan årelating vurderes.
1 pose/daglig
Vanligvis mister pasienten menstruasjonsblødning etter et par måneder på testosteronbehandling, men ikke alltid. Årsaken kan være under- eller overdosering med testosteron (begge kan gi forhøyet østradiol). Tenk på mulig underliggende patologi i endometrium eller livmor. I oppstartsfasen kan en forsøke med medroxyprogesteron (Provera/Primolut) kur, 10 mg 1 gang daglig i 2–3 måneder. Ved avsluttet kur kan en få en liten avstøtningsblødning.
Eggløsning kan forekomme uten påfølgende menstruasjon ved testosteronbehandling. Alle typer prevensjon og nødprevensjon kan brukes, men gestagenprevensjon (hormonspiral, P-stav og P-sprøyte) er de mest logiske valgene.
Bioteknologiloven er endret, og åpner nå for å tilby bl.a. nedfrysning av egg og eggdonasjon i det offentlige helsevesenet. Denne behandlingen
er imidlertid ennå ikke satt i system. Det er relativt godt dokumentert at maskuliniserende hormonbehandling ikke påvirker kvaliteten på eggcellene, uavhengig av varighet av testosteronbehandling [15].
Vaginal atrofi, som ikke lindres av glidemiddel, kan behandles med vaginalt østrogen; for eksempel Vagifem® vaginaltablett 10 mcg to faste kvelder i uken. Vedvarende plager bør undersøkes av gynekolog.
Ved gelbehandling kontrolleres testosteron etter noen ukers behandling, som beskrevet i Felleskatalogen. En sikter mot samme testosteronnivå som hos andre menn. Første kontroll etter oppstart gjøres typisk i primærhelsetjenesten, gjerne innen 3 måneder. Fastlegen vurderer maskuliniserende utvikling, psykisk stabilitet, blodtrykk, vekt, blodprøver og eventuelle bivirkninger. Videre kontroll avhenger av behov, minst årlig.
Ved bruk av Nebido anbefales det at testosteronnivået rett før neste injeksjon ligger i nedre tredjedel av referanseområdet. Ved manglende Hb-stigning på testosteronbehandling kontrolles ferritin, folsyre, vitamin B12, eventuelt hemolyseprøver og bredere hematologisk vurdering.
Langtidsrisiko ved kjønnsbekreftende hormonbehandling Det er fortsatt mange ubesvarte spørsmål rundt hormonbehandlingen. Det foreligger ingen gode sikkerhets data ved langtidsbehandling med tanke på risiko for kreft og hjerte- og karsykdom. Korttidsdata indikerer ingen økt samlet kreftrisiko [16, 17].
Referanser
1. https://oslo-universitetssykehus.no/behandlinger/ kjonnsinkongruens-utredning-og-behandling-avbarn-og-unge-under-18-ar.
2. Heylens, G., et al., Psychiatric characteristics in transsexual individuals: multicentre study in four European countries. Br J Psychiatry, 2014. 204(2): p. 151-6.
3. Kallitsounaki, A. and D.M. Williams, Autism Spectrum Disorder and Gender Dysphoria/Incongruence. A systematic Literature Review and Meta-Analysis. J Autism Dev Disord, 2023. 53(8): p. 3103-3117.
4. Coleman, E., et al., Standards of Care for the Health of Transgender and Gender Diverse People, Version 8. Int J Transgend Health, 2022. 23(Suppl 1): p. S1s259.
5. Ettner, R., Principles of Transgender medicine and surgery 2nd ed. 2016: Out of house publishing.
6. Anderssen et al. (2021) «Seksuell orientering, k.o.l.R.f.s.B.I.f.s., Universitetet i Bergen.
Undersøkelser av beintetthet tyder på bedre benhelse for alle kjønn [18]. Rutinemessig bentetthetsmåling er ikke indisert når hormonbehandling startes i voksen alder.
Videre oppfølging
Når tiden er moden for det, overføres videre kontroller og hormonbehandling til fastlegen eller lokal endokrinolog. Oppfølgingen blir, stort sett, som ved behandling for hypogonadisme. Det anbefales minst en årlig oppfølging hos fastlege hvor risiko for hjerte-/karsykdom [12, 13] vurderes, og pasienten gis råd om hjertevennlig livsstil. Følgende blodprøver bør tas: Hb, EVF, ALAT, kolesterol, triglyserider, glukose (HbA1c), kreatinin, østradiol, SHBG, testosteron, LH og FSH.
Det bør oppfordres til rutinemessig egenundersøkelse av bryst, samt at MtK takker ja til mammografi-screening programmet fra 50-69 år. Husk at prostata forblir intakt, selv om det utføres feminiserende kirurgi.
Pasienter på maskuliniserende behandling, KtM, anbefales å få gjort gynekologisk undersøkelse (GU) fra det tidspunkt som kommer først, at de blir seksuelt aktive eller blir 25 år. Senere bør det gjøres GU regelmessig, typisk hvert 3. år. Dersom han velger å fjerne livmor og eggstokker, kan rutine-GU opphøre.
Oppsummering:
• Evidensgrunnlag for hormonbehandlingen ved kjønnsinkongruens er begrenset, spesielt når det gjelde langtidsbehandling.
• Feminiserende hormonbehandling består av østradiol i fysiologiske substitusjonsdoser og et antiandrogen. Behandlingen gir økt
7. Winter, S., et al., Transgender people: health at the margins of society. Lancet, 2016. 388(10042): p. 390400.
8. Glintborg, D., et al., Gender affirming treatment and employment rate in 3,812 Danish transgender persons and 38,120 controls. J Clin Endocrinol Metab, 2024.
9. de Blok, C.J.M., et al., Breast Development in Transwomen After 1 Year of Cross-Sex Hormone Therapy: Results of a Prospective Multicenter Study. J Clin Endocrinol Metab, 2018. 103(2): p. 532-538.
10. Samarut, E., et al., Meningiomas and cyproterone acetate: a retrospective, monocentric cohort of 388 patients treated by surgery or radiotherapy for intracranial meningioma. J Neurooncol, 2021. 152(1): p. 115-123.
11. https://www.felleskatalogen.no/medisin/androcurbayer-ab-546075?markering=0.
risiko for venøs tromboembolisme og økt kardiovaskulær risiko.
• Ved maskuliniserende hormonbehandling gis testosteron i fysiologiske substitusjonsdoser.
• Noen av effektene av hormonbehandlingen, blant annet utvikling av mørk stemme på testosteron, er irreversible.
• Etter oppstart med kjønnsbekreftende hormonterapi brukes referansegrenser for opplevd kjønn. Referansegrenser følger juridisk kjønn (tredje siffer bakfra i personnummer), og er derfor ikke alltid er korrekt.
• Hormonbehandling initieres ved Nasjonal behandlingstjeneste for kjønnsinkongruens (NBTK), og råd om oppfølging gis til primærhelsetjenesten og/eller lokalt sykehus, under veiledning av endokrinolog, om nødvendig.
• Desentralisering av helsetilbudet krever spredning av kompetanse.
For kortfattet klinisk veiledning om oppfølging vises til Nasjonal veileder i endokrinologi, kapittel «Endokrinologisk behandling ved kjønnsinkongruens hos voksne»: https://metodebok.no/index. php?action=topic&item=MSNJB292
15. Taub, R.L., et al., The effect of testosterone on ovulatory function in transmasculine individuals. Am J Obstet Gynecol, 2020. 223(2): p. 229.e1-229.e8. 16. de Blok, C.J.M., K.M.A. Dreijerink, and M. den Heijer, Cancer Risk in Transgender People. Endocrinol Metab Clin North Am, 2019. 48(2): p. 441-452. 17. de Blok, C.J.M., et al., Breast cancer risk in transgender people receiving hormone treatment: nationwide cohort study in the Netherlands. Bmj, 2019. 365: p. l1652.
18. Wiepjes, C.M., et al., Bone Mineral Density Increases in Trans Persons After 1 Year of Hormonal Treatment: A Multicenter Prospective Observational Study. J Bone Miner Res, 2017. 32(6): p. 1252-1260.
12. Aranda, G., et al., Cardiovascular Risk Associated With Gender Affirming Hormone Therapy in Transgender Population. Front Endocrinol (Lausanne), 2021. 12: p. 718200. 13. Masumori, N. and M. Nakatsuka, Cardiovascular Risk in Transgender People With Gender-Affirming Hormone Treatment. Circ Rep, 2023. 5(4): p. 105-113. 14. https://metodebok.no/index. php?action=topic&item=bxzCMbvt.

Our Solution for Lung Cancer Diagnosis and Staging
L ung cancer ca uses practic ally no early s ymptoms and is therefore us ually diagno sed very late. Early detecti o n can make a big differe nce. It means a curative tre atment can be p erformed to counteract the above listed di sastrous numbe rs, give p atients more hope and red uce medical c o sts.
When detecti ng lung cance r, an accurate assessment of t he progression of the dise as e is essential for defin ing the follo wing t reatment .
O lympus are co mmitted to sh aring information with you a bout keeping the lungs heal t hy as well a s about our s o lutions for lung cancer di agnosis and s taging.
We want to ra ise awareness on lung canc er, since we ha ve a lot to sa y about it. Th e g oal is to cre ate more attention with our c ampaign #Love ForLungs and thereby help m o re people i n the fight agai nst cancer
Our Products and Solutions
• Solution for Lung Cancer Staging
• Solution for Access and Diagnosis of SPN
• Ultrathin Bronchoscope Ideal for Peripheral Lung Regions
Find out more: www.olympus.no
www.olympus.no

Sykdomsrelatert underernæring er en stor utfordring for helsetjenesten – både medisinsk og helseøkonomisk. Om lag hver tredje pasient innlagt i sykehus er underernært eller i risiko for underernæring, noe som er relatert til både økt sykelighet og lengre sykehusopphold. Det er ikke bare eldre som rammes, og pasienter med sykdommer i fordøyelsessystemet er i faresonen.
Svein Oskar Frigstad, avdelingssjef og overlege PhD, Medisinsk avdeling, Bærum sykehus
Sykdomsrelatert underernæring
Underernæring er en tilstand utløst av redusert inntak eller opptak av næring med endret kroppsmasse som resulterer i redusert fysisk og mental funksjon og dårligere prognose ved sykdom (1). Det skilles mellom underernæring som skyldes sult og underernæring som skyldes sykdom. Sykdomsrelatert underernæring oppstår som en konsekvens av sykdom eller en sykdomstilstand (2). Klinisk ernæring er fagfeltet innen medisin som omhandler forebygging, diagnostikk og behandling av ernæringsmessige og metabolske endringer som oppstår som resultat av mangel på næring eller næringsstoffer ved akutt eller kronisk sykdom (3). En oversikt over relevante tilstander knyttet til ernæringstilstand presenteres i tabell 1.
Hvorfor blir pasienter underernærte
Det kan virke overaskende at en stor del av den norske befolkingen er overvektige samtidig med at underernæring er vanlig ved innleggelse i sykehus. Nyere studier tyder på at minst en tredjedel av pasienter innlagt i sykehus er i ernæringsmessig
Underernæring
Sykdomsrelatert underernæring uten inflammasjon
Sykdomsrelatert underernæring med inflammasjon
risikotilstand, og andelen øker betydelig med alder (4-6). Årsakene til undernæring er mange. Både sykdom og den medisinske behandlingen vil ofte gi både redusert matlyst og opptak av næringsstoffer samtidig som behovet er økt (2). Både sykdomstilstand og inflammasjon har stor betydning for ernæringsstatus. Ved økende grad av inflammasjon ses et raskere tap av vekt og muskelmasse enn ved andre typer av underernæring, og derfor vektlegges inflammasjon ved sykdomsrelatert underernæring (2). En modell for utvikling av sykdomsrelatert underernæring er gjengitt i figur 1.
Hvordan klassifiseres underernæring
Diagnostiske kriterier for underernæring og ernæringsmessig risiko finnes i ICD-10 systemet (7). Et internasjonalt initiativ kalt GLIM (Global leadership initiative on malnutrition) har fremmet kriterier som er mer egnet for å stille diagnosen underernæring i klinisk praksis. Rammeverket legger til grunn at minst et fenotypisk kriterium (uønsket vekttap, lav KMI eller lav muskelmasse) og et etiologisk kriterium (redusert mat-
Underernæring uten sykdom (sult, matmangel eller sviktende matinntak)
Tyggevansker, dårlig tannstatus, svelgevansker, depresjon eller kognitiv svikt
Akutt (skader, kirurgi, kritisk sykdom) eller kronisk (kreft eller kroniske sykdommer)
Sarkopeni Generalisert tap av muskelmasse og muskelstyrke
Mangeltilstander Mangel på mikronæringsstoffer som gir negative helseeffekter
inntak eller opptak, inflammasjon eller sykdomsbyrde) må være til stede for at diagnosen skal stilles (8). Foreløpig benyttes kodeverket ICD10 for å klassifisere underernæring, men med utviklingen av ICD-11 er det fra det internasjonale fagmiljøet spilt inn et behov for å ta hensyn til dette med å sørge for en diagnosekode for underernæring hos voksne, med og uten inflammasjon (1). Diagnostiske kriterier for underernæring etter nasjonale retningslinjer er oppsummert i tabell 2.
Sårbarhet og følgetilstander Sykdomsrelatert underernæring med inflammasjon kan tilkomme som følge av en rekke ulike sykdommer, og resultatet er en tilstand med anoreksi og økt nedbrytning av muskelmasse. Graden av den metabolske responsen på sykdom og underliggende sårbarhetsfaktorer avgjør når klinisk relevant underernæring tilkommer (3). Inaktivitet og sengeleie øker muskelnedbrytningen ved sykdomsrelatert underernæring, og høy alder kan i seg selv bidra til økt inflammatorisk respons med økt sårbarhet (3). Begrepene kakeksi og sarkopeni omfatter konsekvenser av underernæring og er vanligere i visse pasientgrupper. Kakeksi forbinder vi med kronisk sykdomsrelatert underernæring med inflammasjon, og begrepet benyttes oftest ved alvorlig underernæring hos pasienter med langtkommet underliggende tilstander slik som avansert kreftsykdom, hjertesvikt, nyresvikt, inflammatorisk tarmsykdom og kronisk lungesykdom (3). Sarkopeni betegner tap
Tabell 2. Diagnostiske kriterier for underernæring etter norske retningslinjer (Helsedirektoratet)
Ernæringsmessig risiko (E46)
Moderat underernæring (E44)
Alvorlig underernæring (E43)
Sykdom eller skade
av muskelmasse og muskelstyrke og kan være aldersbetinget eller følge av sykdomsrelatert underernæring (9). Sarkopeni kan avdekkes ved måling av muskelmasse ved DXA (Dual-energy X-ray absorptiometry), bioelektrisk impedansanalyse eller kombinerte kroppsmålinger sammen med kliniske tester for muskelstyrke (10). Gullstandarden er likevel bildediagnostikk med CT eller MR, og hvis slike undersøkelser likevel gjøres er det nyttig å be om en vurdering av muskelmasse og sammensetning av kjernemuskulatur.
Identifisering av risikopasienter Nasjonale retningslinjer angir at alle pasienter skal vurderes for risiko for underernæring ved innleggelse i
Anbefalt verktøy i både primær- og spesialisthelsetjenesten er MST, og skår 2 eller mer tilsier ernæringsmessig risiko
Minst ett av følgende kriterier er oppfylt:
• Ufrivillig vekttap > 10 % siste 3-6 måneder eller > 5 % siste 2 måneder
• KMI < 18.5 kg/m2 (> 70 år: KMI < 20)
• KMI < 20,5 kg/m2 (> 70 år: KMI < 22) og samtidig ufrivillig vekttap > 5 % siste 6 måneder
• Næringsinntak mindre enn halvparten av beregnet behov siste uke ved samtidig akutte/kroniske inflammasjonstilstander
• Validert spørreskjema kan også benyttes (PG-SGA)
Minst ett av følgende kriterier er oppfylt:
• 15 % ufrivillig vekttap siste 3-6 måneder eller mer enn 5 % ufrivillig vekttap siste måned
• KMI < 16,0 kg/m2 (> 70 år: KMI < 18.5)
• KMI < 18,5 kg/m2 (> 70 år: KMI < 20) og samtidig ufrivillig vekttap > 5 % siste 3 måneder
• Validert spørreskjema kan også benyttes (PG-SGA)
Økt behov
Redusert inntak og/eller opptak Økt nedbrytning
Ernæringsmessig risiko
norske helse- og omsorgsinstitusjoner. For pasienter innlagt i sykehus gjelder at risikovurderingen skal gjøres innen et døgn etter innleggelse og gjentas minst ukentlig (11). Retningslinjer fra ESPEN (The European Society for Clinical Nutrition and Metabolism) vektlegger bruk av anbefalt metode for screening for å fange opp og diagnostisere underernæring (12). I Norge anbefales screeningverktøyet MST (Malnutrition Screening Tool) som består av to spørsmål, ett om endring i vekt og ett om endring i matinntak (11). Men det hjelper ikke å avdekke underernæring om ikke tiltak iverksettes, og selv enkle tiltak er vist å ha effekt på både matinntak, vekt og kliniske utfall (13). I nasjonale retningslinjer
Sykdomsrelatert Underernæring
anbefales målrettede ernæringstiltak med utarbeidelse av en individuell ernæringsplan for pasienter i ernæringsmessig risiko eller med påvist underernæring (11). Målrettede ernæringstiltak omfatter alt fra matomsorg (måltidsmiljø, mattilbud og beriking) til medisinsk ernæringsbehandling (næringsdrikker, sondeernæring og intravenøs ernæring) som vist i figur 2.
Skrøpelighet eller frailty Vurdering av skrøpelighet eller frailty er viktig som del av en risikovurdering av pasienter og er et viktig hjelpemiddel for kliniske beslutninger (14). Det foreligger ingen konsensus om hvordan skrøpelighet skal identifiseres hos den enkelte pasient,
Intravenøs næring
Sondenæring
Næringsdrikker
Beriking og mellommåltider
Mattilbud
Måltidsmiljø
Symptomlindring og medisinsk behandling
Figur 2. Målrettede ernæringstiltak fra matomsorg til medisinsk ernæringsbehandling (Helsedirektoratet)
men begrepet tar inn over seg betydningen av fysiologiske reserver ved sykdom og økende alder. Vekttap, tap av muskelmasse og redusert muskelfunksjon er sentrale faktorer ved skrøpelighet og kan ses på som risikofaktorer (14). Hos eldre og syke pasienter med avdekket underernæring og tap av muskelmasse, bør skrøpelighet evalueres. Clinical Frailty Scale (CFS) er et godt validert og enkelt verktøy som ofte benyttes (14). Vi vet at skrøpelighet er viktig for kliniske utfall, og det er derfor hensiktsmessig å se på triaden underernæring, sarkopeni og skrøpelighet med utgangspunkt i en dynamisk modell hvor kompenserende mekanismer kan styrkes gjennom ernæringsbehandling og økt fysisk aktivitet (15).
Tarmsykdom og underernæring Symptomer fra fordøyelses systemet slik som svelgeproblemer, kvalme, obstipasjon eller diare er alle vanlige symptomer som kan påvirke matinntaket negativt (2). Pasienter med tarmsykdom er dessuten utsatt for redusert næringsinntak og
Referanser og litteratur
1. Cederholm T, Rothenberg E, Barazzoni R. Editorial: A Clinically Relevant Diagnosis Code for “Malnutrition in Adults” Is Needed in ICD-11. J Nutr Health Aging. 2022;26(4):314-5.
2. Helsedirektoratet. Sykdomsrelatert underernæring - utfordringer, muligheter og anbefalinger. Oslo: Helsedirektoratet; 2017. Available from: www.helsedirektoratet.no
3. Cederholm T, Barazzoni R, Austin P, Ballmer P, Biolo G, Bischoff SC, et al. ESPEN guidelines on definitions and terminology of clinical nutrition. Clin Nutr. 2017;36(1):49-64.
4. Henriksen C, Gjelstad IM, Nilssen H, Blomhoff R. A low proportion of malnourished patients receive nutrition treatment - results from nutritionDay. Food Nutr Res. 2017;61(1):1391667.
5. Tangvik RJ, Tell GS, Guttormsen AB, Eisman JA, Henriksen A, Nilsen RM, et al. Nutritional risk profile in a university hospital population. Clin Nutr. 2015;34(4):705-11.
6. Eide HK, Saltyte Benth J, Sortland K, Halvorsen K, Almendingen K. Prevalence of nutritional risk in the non-demented hospitalised elderly: a cross-sectional study from Norway using stratified sampling. J Nutr Sci. 2015;4:e18.
7. WHO. International statistical classification of diseases and related health problems (10th ed.). Geneva: World Health Organization; 2016. Available from: https://icd.who.int/browse10/2016/en
8. Cederholm T, Jensen GL, Correia M, Gonzalez MC, Fukushima R, Higashiguchi T, et al. GLIM criteria for the diagnosis of
malabsorpsjon (16). Hos pasienter med inflammatorisk tarmsykdom foreligger dessuten ofte mangel på mikronæringsstoffer som bør substitueres, spesielt nevnes jern samt enkelte vitaminer slik som vitamin D, vitamin B12 og folsyre (16). Diett og ernæringstiltak bør ellers være en integrert del av behandlingen for inflammatorisk tarmsykdom hos både voksne og barn (17). Pasienter med IBD eller kreft i fordøyelseskanalen kan ofte være aktuelle for kirurgisk behandling, og det er da viktig at prinsipper for rask rekonvalesens etter kirurgi (ERAS) følges. Dette er en helhetlig tilnærming for å redusere stressrespons og påkjenning ved kirurgi blant annet med tiltak innen ernæring, aktivitet og mobilisering (18).
Leversykdom og underernæring Pasienter med avansert lever sykdom er ofte feilernærte, og underernæring med sarkopeni er forbundet med dårligere prognose (19, 20). Sykdomsrelatert underernæring er vanlig, og ernæring er en viktig del av behandlingen. Husk anbefalingen
malnutrition - A consensus report from the global clinical nutrition community. Clin Nutr. 2019;38(1):1-9.
9. Cruz-Jentoft AJ, Baeyens JP, Bauer JM, Boirie Y, Cederholm T, Landi F, et al. Sarcopenia: European consensus on definition and diagnosis: Report of the European Working Group on Sarcopenia in Older People. Age Ageing. 2010;39(4):412-23.
10. Pahor M, Manini T, Cesari M. Sarcopenia: clinical evaluation, biological markers and other evaluation tools. J Nutr Health Aging. 2009;13(8):724-8.
11. Helsedirektoratet. Nasjonal faglig retningslinje for forebygging og behandling av underernæring (siste faglige endring 14. mars 2022). Oslo: Helsedirektoratet; 2022. Available from: www. helsedirektoratet.no/retningslinjer/forebygging-og-behandling-avunderernaering
12. Cederholm T, Bosaeus I, Barazzoni R, Bauer J, Van Gossum A, Klek S, et al. Diagnostic criteria for malnutrition - An ESPEN Consensus Statement. Clin Nutr. 2015;34(3):335-40.
13. Stratton RJ. Elucidating effective ways to identify and treat malnutrition. Proc Nutr Soc. 2005;64(3):305-11.
14. Dejgaard MS, Rostoft S. Systematic assessment of frailty. Tidsskr Nor Laegeforen. 2021;141(4).
15. Bernabei R, Landi F, Calvani R, Cesari M, Del Signore S, Anker SD, et al. Multicomponent intervention to prevent mobility disability in frail older adults: randomised controlled trial (SPRINTT project). BMJ. 2022;377:e068788.
om et lite kveldsmåltid for å unngå langvarig faste og redusere risiko for hypoglykemier (21). Proteinbehovet kan være betydelig da pasienter med leversykdom ofte har lav kroppsvekt og muskelmasse (21). Ved leversvikt og kritisk sykdom er kroppen i en uttalt nedbrytningsfase eller katabol tilstand hvor energilagre reduseres og næringsstoffer forbrukes i høy hastighet (22).
Vårt felles ansvar
Det påhviler sykehus så vel som andre deler av helsetjenesten et ansvar for å legge til rette for god ernæringsomsorg. Internasjonalt er konseptet ernæring som en menneske rett fremmet for å understreke at alle pasienter har rett til en helhetlig vurdering og tilgang til ernæringsbehandling når det er nødvendig og riktig (23). Det er et tankekors at klinisk ernæring fremdeles har relativt liten oppmerksomhet i et helsevesen med gode systemer og høy kompetanse. En tverrfaglig tilnærming anbefales i ernæringsarbeidet, og det krever at leger så vel som sykepleiere og klinisk ernæringsfysiologer deltar. Det gjelder ikke minst for gastroenterologer, og klinisk ernæring er nå styrket med et anbefalt kurs for å oppnå relevant læringsmål i spesialistutdanningen. Sammen bør vi bidra til å heve statusen til fagområdet klinisk ernæring til beste for våre pasienter.
Artikkelen ble først publisert i NGFNYTT nr 3 fra oktober 2024.Gjengis med tillatelse fra forfatter
17. Levine A, Sigall Boneh R, Wine E. Evolving role of diet in the pathogenesis and treatment of inflammatory bowel diseases. Gut. 2018;67(9):1726-38.
18. Gustafsson UO, Scott MJ, Schwenk W, Demartines N, Roulin D, Francis N, et al. Guidelines for perioperative care in elective colonic surgery: Enhanced Recovery After Surgery (ERAS(R)) Society recommendations. Clin Nutr. 2012;31(6):783-800.
19. Caregaro L, Alberino F, Amodio P, Merkel C, Bolognesi M, Angeli P, et al. Malnutrition in alcoholic and virus-related cirrhosis. Am J Clin Nutr. 1996;63(4):602-9.
20. Tandon P, Ney M, Irwin I, Ma MM, Gramlich L, Bain VG, et al. Severe muscle depletion in patients on the liver transplant wait list: its prevalence and independent prognostic value. Liver Transpl. 2012;18(10):1209-16.
21. Plauth M, Bernal W, Dasarathy S, Merli M, Plank LD, Schutz T, et al. ESPEN guideline on clinical nutrition in liver disease. Clin Nutr. 2019;38(2):485-521.
22. Hagve M, Gjessing P, Ytrebo LM, Irtun O. Nutritional support for critically ill patients in the intensive care unit. Tidsskr Nor Laegeforen. 2020;140(2).
23. Cardenas D, Correia M, Hardy G, Gramlich L, Cederholm T, Van Ginkel-Res A, et al. The international declaration on the human right to nutritional care: A global commitment to recognize nutritional care as a human right. Clin Nutr. 2023;42(6):909-18.
16. Bischoff SC, Bager P, Escher J, Forbes A, Hebuterne X, Hvas CL, et al. ESPEN guideline on Clinical Nutrition in inflammatory bowel disease. Clin Nutr. 2023;42(3):352-79.
Indremedisineren avslutter i år sitt 15-årsjubileum. Bladet har hatt mange gode artikler opp gjennom årene, med bidrag fra medisinske studenter og yngre leger til de mest etablerte blant oss. Fagområdet er stort, og artiklene har speilet mangfoldet innen indremedisinen. Enkelte områder har hatt en rivende utvikling, noe som har rettferdiggjort oppdaterte artikler innen samme tema. Flertallet av artiklene har vært oversiktsartikler, men noen har også presentert nye erkjennelser innen etablerte emner.
For at vi skal kunne fortsette å presentere et variert innhold, er vi avhengige av at våre lesere og skribenter tar pennen fatt.
Det bør nevnes at vi nå i over ett år har inkludert fagfellevurdering, slik at fagartiklene vurderes av ekstern partner med kompetanse innen
temaet. Redaksjonen tar selvfølgelig også ansvar for gjennomgang av artiklene, og vi prøver å bidra til at artiklene presenteres best mulig.
Nytt for i år var kåringen av beste originalartikkel for foregående år. Vi innstilte 6 fagartikler fra nr 3 i 2023 til nr 2 i 2024 for videre vurdering av eksterne nestorer i faget. Faktorer som indremedisinsk relevans, presentasjon, velskrevenhet, bruk av illustrasjoner og aktualitet på tvers av fagområder ble vektlagt. Det ble jevnt, og i sluttvurderingen ble trukket inn nyhetsverdi, klinisk anvendelighet og fremtidsperspektiv. Slik endte vi med tre prisvinnere.
Indremedisinere har stor interesse for oppdatert kunnskap om lipider. Delt førsteplass gikk til artikkelen «Høye triglyserider – patofysiologi og risiko» ved Kjetil Retterstøl og Gisle Langslet og til artikkelen «LDL-kolesterol
behandling i dag og i fremtiden» ved Tone Svilaas og Kjetil Retterstøl. Førstnevnte presenterte egne data, og den andre har høy klinisk relevans, begge fra temanummeret nr 4 i 2023. Artikkelen «Jernmangel og jernmangelanemi ved kronisk sykdom» ved Bjørn Moum og Stefan Lindgren presenterte sentrale erkjennelser innen jernmangel og jernmangelanemi i nr 2 dette år, og har fått en velfortjent andre plass.
Vi takker alle artikkelforfatterne for deres bidrag.
Stephen Hewitt Redaktør



Helsepyramiden er deformert til et timeglassformet tilbud der generalistnivået er avmagret, og LEON organiseringen er mislykket. Generalisten betegnes ofte som unyttig, farlig og uønsket. Men resultatet er et dårligere helsetilbud til befolkningen. Generalister i nettverk internt og på tvers av sykehus og helseforetak, kan rehabilitere helsepyramiden med reduserte ventelister, økt effektivitet, kvalitet, rekruttering og glede i arbeid.
Øystein Evjen Olsen, MSc, PhD. Førsteamanuensis, Universitetet i Stavanger. Rådgiver, Stavanger universitetssjukehus Geir Sverre Braut, Seniorrådgiver, Stavanger universitetssjukehus. Professor II, Høgskulen på Vestlandet
Innledning
Helsepyramiden er blitt et timeglass Helsetjenester levert i en pyramide har i flere tiår vært idealet for effektiv bruk av ressurser og kompetanse i helsetjenesten. Laveste (eller beste) omsorgsnivå (LEON-prinsippet) har vært et viktig prinsipp for planlegging av tjenestene (1). Idealet er å levere tjenester nærmest pasienten, og flytte tjenestene oppover i pyramiden når pasientvolumet blir mindre og faget spissere.
Realiteten er imidlertid at LEONprinsippet i praksis fravikes. I tillegg til at stadig flere helseoppgaver tillegges kommunehelsetjenesten nederst i pyramiden, er det sterke drivere for å henvise stadig flere problemstillinger høyere opp i pyramiden. Dette for å sikre at den presumptivt beste og mest kompetente spesialisten på området skal få avgjørende beslutningsmyndighet.
Subspesialist
Samtidig opplever fastleger et økende press, både fra pasienter og kolleger, om å henvise pasienten oppover. Det fører til flere kontakter, for isolerte og smalere problemstillinger, høyere i systemet. Det er en oppfatning at statsforvalteren og media deler ut kritikk dersom henvisning mot toppen ikke er gjort, selv om tilsynsmyndighetene arbeider for å innrette virksomheten mer mot læring og kvalitetsutvikling (2). En nedprioritering av den generelle kompetansen fører igjen til færre generelle stillinger, svekket generell utdanning og rekruttering, og svakere tilbud både internt i store sykehus og ved lokalsykehus. Dette utfordrer ikke minst likeverdige fordeling av tjenestene, som igjen skaper utrygghet i befolkningen (3–6).
Denne artikkelen beskriver to grep, som sammen kan bidra til å håndtere disse utfordringene. Generalistene må inn i sentrum av tjenestetilbudet,
og det må etableres nye nettverk på tvers av dagens mønstre.
Fra timeglass tilbake til helsepyramiden –breddekompetanse i nettverk Gjenopprett pyramiden med generalisten i sentrum
Det første grepet er å gjenopprette midten av pyramiden. Dette må gjøres ved å gjeninnsette, fremsnakke, og legge til rette for en komplett karriere for breddekompetente spesialister i generell indremedisin og generell kirurgi. Helse- og omsorsgsdepartementet har bekreftet viktigheten av styrket breddekompetanse (7).
Ettersom disse spesialitetene lenge har lidd under manglende prioritering (7), er flere aktører, inkludert Helsedirektoratet, nå i ferd med å redefinere innholdet i spesialitetene (8–10). Vi kan forvente kompetansekrav som avspeiler breddekompetanse. I tillegg må disse spesialistene ha god beredskapskompetanse, fleksibilitet og tilpasningsevne. De må også kunne bygge bro til kommunehelsetjenesten (11). God beredskap for ekstraordinære situasjoner bygger på robuste tjenester i de daglige utfordringene (12) (Figur 1).
Generalistens plass er i nettverk med primærhelsetjenesten og subspesialister
Det andre grepet er å sette generalister og subspesialister i nettverk etter «Hub and Spoke»- eller "Nav og spile"-modellen. Denne modellen er anerkjent og anvendt på
en rekke områder der kompleks behandling, i utgangspunktet med behov for sentrale løsninger (Nav), ønskes levert i et bredt desentralisert geografisk område (Spile) (Figur 2).
Noen nyttige eksempler er samarbeidet mellom Universitetssykehuset i Zürich og Männendorf lokalsykehus om robotkirurgi, implementering av slagbehandling globalt (13) og utviklingen av tilbudet for pancreascancer i Lombardiaregionen i Italia (14). Alle disse eksemplene setter samarbeid om volum, prosedyrer, utdanning og akuttfunksjoner i sentrum. De har fagnettverk mellom breddekompetente spesialister og subspesialiteter internt, og mellom sykehus og helseforetak (Figur 3).
Fra «nedslagsfelt» til «felles pasientgrunnlag»
Det første premisset for et velfungerende nettverk er å utvikle et felles pasientgrunnlag på tvers av nedslagsfelt. Strenge grenser for geografiske opptaksområder må omdefineres og tilpasses LEONprinsippet for best utnyttelse av helsepyramiden. Samarbeid om pasient volum på tvers av nedslagsfelt må håndteres i ett teamfellesskap, mellom sykehus med små og store nedslagsfelt. Samarbeidet må omfatte utvikling av felles prosedyrer, henvisnings- og akuttkjede rutiner, fordeling av elektive oppgaver og felles utdanning av LIS kandidater og andre fagdisipliner (Figur 4).

2. Samarbeid internt, og mellom sykehus og helsepyramider.
Figur 3. Illustrasjon på samarbeid mellom sentrale og desentrale institusjoner i en Hub-and-Spoke (Nav-og-Spile) modell (pyramider sett ovenfra).
Totalt volum (V)
Nedslagsfelt 1
Figur 3. Illustrasjon på samarbeid mellom sentrale og desentrale institusjoner and-Spoke (Nav-og-Spile) modell (pyramider sett ovenfra).
Kompetanse- og prosedyreprofiler For å lykkes med et samarbeid om pasientvolum og utnytte LEONprinsippet, kreves god ledelse. Selv om kompleksiteten øker, er distribusjon og samarbeid over store avstander ikke noe nytt i Norge. Det har i et halvt århundre blitt utviklet og gjennomført prosedyre- og logistikkløsninger som døgnet rundt, hele året, sikrer høyt kvalifisert arbeidskraft helt ut i Nordsjøen, på Svalbard og i Antarktis. Sammenslåing av enheter til større kompetanse miljøer, på tvers av institusjoner, kan gjøres uavhengig av lederstruktur. Det handler først og fremst om utvikling av felles mål og samarbeidsordninger.
Kompetanseprofiler må defineres for best mulig utnyttelse av LEON-
Team
Nedslagsfelt 2
Nedslagsfelt 3
4. Samarbeid om volum; fra «nedslagsfelt» til «felles pasientgrunnlag».
prinsippet, samtidig som den respekterer og legger til rette for personellets egne ønsker om faglig utvikling.
Tilsvarende må prosedyreprofilen mellom enheter (mellom sykehus eller internt i et større sykehus) utnytte samspillet og de komparative fordelene mellom generalistkompetanse og spisskompetanse. Samtidig som prosedyrene omfordeles, må også pasientgrunnlaget følge etter (se punkt over). Prosedyreprofilen må videre tilrettelegges slik at den sikrer tilstrekkelig utvikling og vedlike -
hold av kompetanse, ikke bare hos generalistene, men også for hele teamet for å sikre høy kvalitet på alle ansvarsområder.
Figur 4. Samarbeid om volum; fra «nedslagsfelt» til «felles pasientgrunnlag».
Insentiver, styringsmekanismer og «LEON justert DRG» Insentiver og styringsmekanismer må etableres for å tilrettelegge for at et tilstrekkelig antall personell ønsker å søke seg til slike nettverk. Dette innebærer kontinuerlige dialoger med tillitsvalgte og fagmiljøer. For å unngå konkurranse mellom sykehus og nettverk, må denne dialogen skje på et overordnet plan, regionalt og

5. Samarbeid om kompetanse, kompetanseutvikling og akuttfunksjoner mellom spesialistgrupper og nivåer i helsepyramiden.
nasjonalt. Først da kan vi etablere fornuftige samarbeid i nettverket om utdanningsløp, stillingsinstrukser, utlysningstekster og rotasjonsordninger (Figur 5).
Vi må videre samordne investeringsprofilen i nettverket for å sikre felles utstyrstilgang, og delvis også prioritere utstyr til laveste nivå i pyramiden for å fullt ut utnytte LEON-effekten.
Dersom ytterligere styring er nødvendig, kan inntektsmekanismer justeres for å belønne sykehus og nettverk som gjennomfører LEON-prinsippet i praksis. En slik «LEON justert DRG» kan bidra til å styrke økonomien i et vellykket nettverk.
Forventede effekter
Gjenoppretting av midten av helsepyramiden med generalister og subspesialister i et nettverk kan forventes å ha positive effekter på kvalitet, kostnader, rekruttering og trygghet (15).
Kvalitet og forsvarlighet
Generalistkompetanse i nettverk spiller på flere kvalitetselementer. Det første er at generalist- og breddekompetanse er «hjørnesteinen» i alle fag, på alle nivåer i helsepyramiden. Alle sub- og grenspesialiteter springer ut av et bredt faglig fundament som de er avhengige av at noen kjenner til og behersker.
Ett felles team mellom sykehus og helseforetak oppmuntrer til gode relasjoner mellom kolleger, styrker
tillit internt og reduserer risiko ved overføringer (16,17). Ett felles pasientgrunnlag styrker muligheten til å sikre kompetanseutvikling i hele teamet. Det er med på å sikre grunnleggende akutte og elektive tjenester tilpasset kompetansen i hele teamet, også i andre fagdisipliner nødvendige for at teamet skal fungere. Med utvikling av felles prosedyrer, felles kvalitetsog pasientsikkerhetsoppfølging og felles utdanning, sikres også bedre pasientforløp, en felles behandlingskultur og redusert uønsket variasjon. Det finnes allerede flere eksempler på faglige nettverk med høy kvalitet, som ikke er begrenset av geografi eller helseforetak (18,19).
God kvalitet fordrer kontinuerlig vedlikehold og kompetanse hos breddespesialisten, men også tillit til denne kompetansen hos subspesialisten. Det er særlig viktig at hvert nivå kjenner sin begrensning, og at generalisten bidrar til en effektiv og trygg akutt- og henvisningskjede når utfordringen krever et høyere nivå i pyramiden, jf. kravene i § 4 andre ledd i helsepersonelloven (forsvarlighetskravet) (20).
Kostnader og ventetider
Reorganisert mot ett, felles pasientgrunnlag krever pasientvolumet at konkurransefortrinnet til både mindre og større enheter blir utnyttet. I praksis betyr dette at mindre kostnadsintensive enheter, med mindre team og mindre kostbar infrastruktur bør få tildelt prosedyrer som gir lavere inntekt. Tilsvarende bør
enheter med store, komplekse team, dyr kompetanse og infrastruktur, få tildelt prosedyrer med høyere inntekt. På denne måten vil DRG-indeksen til enhver tid maksimeres der kostnadsprofilen tilpasses inntektsprofilen.
Når store, komplekse enheter med dyr kompetanse og infrastruktur bruker sin kapasitet på prosedyrer med lav inntjeningsprofil (DRGindeks), er dette ineffektivt. Risikoen for negativ økonomisk balanse er stor. Nærmere kontakt med kommune helsetjenesten vil også bidra til bedre pasientflyt, reduserte liggetider og bedre samhandling.
Flere ressurser inn i en allerede deformert helsepyramide garanterer ikke en langvarig reduksjon i ventetider (21). Et økt antall pasienter behandlet på et lavere nivå i en velfungerende pyramide, med bredere kompetanse om pasientens kontekst og hele sykdomsbilde, vil føre til at generalisten vil kunne løse flere av pasientens utfordringer ved færre konsultasjoner. Det vil redusere antall kontakter opp mot subspesialister, og dermed bidra til å redusere ventelister, og i neste omgang kostnadene. Positive ringvirkninger av økt trygghet (se nedenfor) gir også store samfunnsgevinster.
Det er noen viktige mulige kostnadsdrivere også i negativ retning. Rotasjon av spesialister mellom «Nav og Spile»-nivå, mellom sykehus og helseforetak i et nettverk, og generalister i kontinuerlig beredskap for å opprettholde akuttfunksjoner, vil medføre økte personellkostnader.
Rekruttering, faglig trygghet og interesse Ved å utvide de faglige nettverk, vil generalistene i mye større grad oppleve at de leverer tjenester i et større og tryggere fellesskap. Med økt trygghet i en større gruppe, vil det være lettere å søke seg til mindre enheter. Når generalisten i tillegg får tilgang til kompetanseutvikling, både med større pasientvolum og tilgang på fagutvikling i samarbeid med et høyere nivå, vil det være enklere å se for seg en langvarig karriere på et lavere nivå. Økt tilgang på faglige utfordringer, f.eks. indremedisinske prosedyrer eller operasjonstid, er også et viktig insentiv. Alle disse
elementene vil bidra til at det blir lettere å rekruttere til mindre enheter.
Trygghet i befolkningen og beredskap
Usikkerhet rundt tilgang og opprettholdelse av generalisert spesialistkompetanse i perifere deler av landet fører til økt utrygghet og uro i den tilhørende befolkning. Fakkeltog og organiserte opprør over hele landet illustrerer dette godt.
Økt generalistkompetanse i ett nettverk mellom sykehus og helseforetak gjennom en «Nav-og-Spile»-modell, med styrket helsepyramide, vil føre til at komplekse tjenester kan leveres «helt ut» med høy kvalitet. Dette vi føre til at distrikter vil føle seg verdsatt, til at den demografiske utviklingen i distriktene vil være bedre ivaretatt, til bedre støtte til andre deler av helse- og samfunnstjenester og styrket beredskap, og til slutt økt trygghet.
Samlet vurdering
Selv om det i praksis er etablert mange velfungerende nettverk mellom spesialistgrupper, er disse oftest organisert mellom toppene av pyramidene omkring spesielle pasientgrupper med lavt volum (f.eks. brannskadebehandling).
Mange sykehus holder fast på en høy egendekningsgrad i frykt for å miste den beste kompetansen, pasientvolum til egen kompetanseutvikling, og inntekter. En gjennomgående organisering av helsetjenestene etter
Referanser
11. Stortinget. St. meld. nr. 9 (1974-75). Sykehusutbygging m.v. i et regionalisert helsevesen. [Internett]. [sitert 1. november 2024]. Tilgjengelig på: https:// www.stortinget.no/no/Saker-og-publikasjoner/ Stortingsforhandlinger/Lesevisning/?p=197475&paid=3&wid=b&psid=DIVL117
2. Engtrø F, Raastad H. Tilsyn i endring. Tidsskr Den Nor Legeforening [Internett]. 3. september 2024 [sitert 1. november 2024]; Tilgjengelig på: https://tidsskriftet. no/2024/09/invitert-kommentar/tilsyn-i-endring
3. Debesay J. Heterogenitet og likeverdige helse- og omsorgstjenester. Tidsskr Omsorgsforskning. 12. september 2022;8(2):130–6.
4. Nergård S. Likeverdige helsetjenester - også i dårlige tider [Internett]. [sitert 1. november 2024]. Tilgjengelig på: https://www.legeforeningen.no/foreningsledd/lokal/troms/skalpellen/2022/likeverdige-helsetjenester/
5. Østlyngen Å, Benonisen MA, Norrie LT. itromso. no. 2023 [sitert 1. november 2024]. Vi har krav på likeverdige helsetjenester, også i nord. Tilgjengelig på: https://www.itromso.no/meninger/i/dwj5AJ/vi-harkrav-paa-likeverdige-helsetjenester-ogsaa-i-nord
6. Regjeringen. NOU 2023: 8. Fellesskapets sykehus — Styring, finansiering, samhandling og ledelse [Internett]. regjeringen.no; 2023 [sitert 1. november 2024]. Tilgjengelig på: https://www.regjeringen.no/no/ dokumenter/nou-2023-8/id2967792/
7. Regjeringen. Meld. St. 9 (2023–2024). Nasjonal helse- og samhandlingsplan 2024–2027 — Vår felles helsetjeneste [Internett]. regjeringen.no; 2024 [sitert 1. november 2024]. Tilgjengelig på: https://www. regjeringen.no/no/dokumenter/meld.-st.-9-20232024/ id3027594/
8. Sagabråten SO. Comeback for generalisten – løs-
LEON modellen, med strukturert utvikling av nettverk og samarbeid om gevinstrealisering, vil representere en betydelig omveltning, med behov for betydelige reformtiltak, mer omfattende enn de som til nå er presentert i den siste nasjonale helse- og samhandlingsplanen (7).
Drivere og veien videre
Det er per i dag ikke nok generalister til å fylle ut tomrommet i helsepyramiden. En viktig oppgave er derfor å utdanne flere generalister.
Den største utfordringen er sannsynligvis knyttet til hvilken behandling og organisering som blir oppfattet som faglig forsvarlig. Dette krever en refleksjon innad i kliniske fagmiljøer. Definisjonsmakten beveger seg stadig oppover i pyramiden i takt med subspesialiseringen. I et demokratisk perspektiv der helsetilbud er et offentlig gode, burde det vært en bred dialog mellom nasjonal politikk, sentral forvaltning, tilsynsmyndigheter, andre fagfelt, tillitsvalgte, pasientgrupper, næringsliv og befolkning. I praksis synes det å være en liten gruppe som definerer hvordan et tilbud bør se ut for å opprettholde faglig forsvarlighet.
En bredere definisjon av faglig forsvarlighet kan være nødvendig. Men den er vanskelig å utforme når premissene for dialogen er snevert basert på faglig, spisset innsikt i en asymmetrisk kompetanserelasjon til de andre aktørene. Det krever stort
ningen på fremtidens bemannings- og ressurskrise? [Internett]. Overlegen Digital. 2023 [sitert 1. november 2024]. Tilgjengelig på: https://overlegen.digital/ overlegen/overlegen-4-2023/comeback-for-generalisten-losningen-pa-fremtidens-bemannings-ogressurskrise/
9. NSDM. Generalist-kompetanse for en bærekraftig helsetjeneste | NSDM [Internett]. [sitert 1. november 2024]. Tilgjengelig på: https://www.nsdm.no/generalistkompetanse-for-en-baerekraftig-helsetjeneste/ 10. NKF. Rapport fra Norsk Kirurgisk Forening sin arbeidsgruppe om generellkirurgiens rolle. [Internett]. [sitert 1. november 2024]. Tilgjengelig på: https:// issuu.com/brataas/docs/nkf_rapport_2023_pk
11. Regjeringen. NOU 2023: 4. Tid for handling — Personellet i en bærekraftig helse- og omsorgstjeneste [Internett]. regjeringen.no; 2023 [sitert 1. november 2024]. Tilgjengelig på: https://www.regjeringen.no/no/ dokumenter/nou-2023-4/id2961552/
12. Braut GS, Melby L, Syse A. Bærekraft og beredskap – to sider av samme sak. Tidsskr Omsorgsforskning. 22. september 2023;9(2):5–8.
13. Sharobeam A, Yan B. Advanced imaging in acute ischemic stroke: an updated guide to the hub-and-spoke hospitals. Curr Opin Neurol. februar 2022;35(1):24.
14. Balzano G, Reni M, Di Bartolomeo M, Scorsetti M, Caraceni A, Rivizzigno P, mfl. Translating knowledge into policy: Organizational model and minimum requirements for the implementation of a regional pancreas unit network. Dig Liver Dis. juni 2024;S159086582400776X.
15. Elrod JK, Fortenberry JL. The hub-and-spoke organization design: an avenue for serving patients well. BMC Health Serv Res. 11. juli 2017;17(1):457.
mot fra ledere å etablere tjenester på tvers av råd fra faggrupper høyere opp i pyramiden, særlig når mekanismer og prosesser for andre legitime valg ikke er enkle å gjennomføre. Kanskje bør begrepet faglig forsvarlighet ikke bare vurderes ut ifra isolert klinisk kunnskap, men i større grad inkludere hvordan behandlingen påvirker hele helsesystemet, og dermed også viktige samfunnsverdier (22) På den måten kan man synliggjøre at helsesystemet ikke bare betraktes som en ”avhengig variabel” av velferdsstatens økonomiske handleevne, men også viktig som ”uavhengig variabel” for å sikre en frisk, trygg og livskraftig befolkning, og dermed også velferdsstatens bærekraft (23).
Konklusjon – rehabilitere og rekonfigurere
Fortsatt utvikling innenfor et timeglassformet helsesystem er ikke bærekraftig. En rehabilitering av breddekompetanse i et rekonfigurert nettverk er nødvendig for å styrke kvalitet, effektivitet, trygghet og rekruttering. Endringer av denne karakter må forankres i fagmiljøene, struktureres i departementet, foretakene og utdanningsmiljøene, og evalueres sammen med forskningsmiljøene, primærhelsetjenesten, medarbeidere, pasienter og befolkningen som er berørt.
Interessekonflikt
Ingen av forfatterne oppgir interessekonflikter.
16. Aase K. Resiliens i helsetjenesten - mennesker, organisasjoner og systemer. 2024.
17. Braithwaite J, Hollnagel E, Hunte GS, redaktører. Working Across Boundaries: Resilient Health Care, Volume 5. London: CRC Press; 2019. 192 s.
18. Onarheim H, Vindenes HA. Sykehusopphold for brannskade. Tidsskr Den Nor Legeforening [Internett]. 26. august 2004 [sitert 1. november 2024]; Tilgjengelig på: https://tidsskriftet.no/2004/08/om-helsetjenesten/ sykehusopphold-brannskade
19. Jakobsen A, Leivestad T, Pfeffer P, Thorsby E. Scandiatransplant 50 år – et vellykket nordisk samarbeid om organtransplantasjon. Tidsskr Den Nor Legeforening [Internett]. 2. mai 2019 [sitert 1. november 2024]; Tilgjengelig på: https://tidsskriftet.no/2019/05/essay/ scandiatransplant-50-ar-et-vellykket-nordisk-samarbeid-om-organtransplantasjon
20. Lov om helsepersonell m.v. (helsepersonelloven) - Kapittel 4. Særskilte regler i tilknytning til autorisasjon, krav om politiattest m.v. - Lovdata [Internett]. [sitert 21. november 2024]. Tilgjengelig på: https:// lovdata.no/dokument/NL/lov/1999-07-02-64/ KAPITTEL_4#KAPITTEL_4
21. Brindley C, Lomas J, Siciliani L. The effect of hospital spending on waiting times. Health Econ. november 2023;32(11):2427–45.
22. Smith PC, Sagan A, Siciliani L, Figueras J. Building on value-based health care: Towards a health system perspective. Health Policy Amst Neth. desember 2023;138:104918.
23. Regjeringen. NOU 2020: 15. Det handler om Norge — Utredning om konsekvenser av demografiutfordringer i distriktene [Internett]. regjeringen.no; 2020 [sitert 1. november 2024]. Tilgjengelig på: https://www.regjeringen.no/no/dokumenter/nou-2020-15/id2788079/

20 %
risikoreduksjon i alvorlige kardiovaskulære hendelser hos pasienter med fedme og etablert kardiovaskulær sykdom#1



~15 %
gjennomsnittlig vektreduksjon opprettholdt i 2 år med Wegovy®* som tillegg til diett med redusert kaloriinnhold og økt fysisk aktivitet **1


Du kan lese mer om Wegovy® på nettsiden www.wegovy.no
Indikasjon:
Voksne: Tillegg til diett med redusert kaloriinntak og økt fysisk aktivitet for vektkontroll, inkl. vekttap og vedlikehold av vekt, hos voksne med initial BMI ≥ 30 kg/m2 (fedme), eller ≥ 27 til < 30 kg/m2 (overvekt) ved forekomst av minst én vektrelatert komorbiditet, som dysglykemi (prediabetes eller diabetes mellitus type 2), hypertensjon, dyslipidemi, obstruktiv søvnapné eller kardiovaskulær sykdom.
For resultater fra studier vedrørende kardiovaskulær risikoreduksjon, fedmerelatert hjertesvikt og populasjoner som ble undersøkt, se pkt. 5.1 i Wegovy ® preparatomtale.
Ungdom (≥ 12 år): Tillegg til diett med redusert kaloriinntak og økt fysisk aktivitet for vektkontroll hos ungdom ≥ 12 år med fedme1 og kroppsvekt > 60 kg. Behandling skal seponeres og reevalueres etter 12 uker dersom ungdomspasienten ikke oppnår en reduksjon i BMI på minst 5 % etter 12 ukers behandling med (Wegovy ®) 2,4 mg eller maks. tolererte dose.1
Fedme (BMI ≥ 95-prosentil) som definert i kjønns- og aldersspesifikk BMI-vekstkurve (CDC.gov).
* STEP 5: - 2,6 % for placebo og -15,2 % for Wegovy®, 12,6 % i forskjell fra placebo. [KI 95 % -15,3; -9,8], p < 0,0001.1
** Kaloriredusert diett og fysisk aktivitet: - 500 kcal/dag + 150 min/uke fysisk aktivitet + individuell oppfølging hver 4. uke.1,2
# Vist i SELECT-Kardiovaskulær endepunktstudie: 17604 pasienter med BMI ≥ 27 kg/m2 og etablert kardiovaskulær sykdom ble tilfeldig randomisert til Wegovy® eller placebo, begge i tillegg til standardbehandling. Det primære endepunktet var tid fra randomisering til første inntreden av en alvorlig kardiovaskulær hendelse (MACE): kardiovaskulær død, ikke-fatalt hjerteinfarkt eller ikke-fatalt hjerneslag. HR: 0,80 i favør av Wegovy® 2,4 mg sammenlignet med placebo. [KI 95 % 0,72-0,90], p< 0,001.1,3
Novo Nordisk Norway AS Nydalsveien 28 · NO-0484 Oslo
Telefon: + 47 22185050 · Kundeservice: +47
· www.novonordisk.no
Wegovy® – utvalgt sikkerhetsinformasjon
• De hyppigst rapporterte bivirkningene var gastrointestinale (svært vanlige, ≥ 1/10), inkludert kvalme, diaré, forstoppelse, oppkast og magesmerter. Generelt milde eller moderate i alvorlighetsgrad, og av kort varighet. Årsak til seponering hos 4,3 %. Kan forårsake dehydrering som i sjeldne tilfeller kan forverre nyrefunksjon. Unngå væskemangel
• Andre svært vanlige (≥ 1/10) bivirkninger: Hodepine, fatigue
Andre vanlige (≥ 1/100 til < 1/10) bivirkninger: Dysestesi, dysgeusi, svimmelhet, gastritt, gastroøsofageal reflukssykdom, dyspepsi, raping, flatulens, abdominal distensjon, gallestein, hårtap, reaksjoner på injeksjonsstedet. Hos pasienter med diabetes type 2: hypoglykemi (særlig i kombinasjon med insulin eller sulfonylurea), retinopati
• Gallestein: Vanlig bivirkning ved bruk av semaglutid. Ble rapportert hos 1,6 % av de som fikk semaglutid og 1,1 % hos de som fikk placebo. Førte til kolecystitt hos 0,6 % og 0,3 % hos de som fikk henholdsvis semaglutid og placebo
• Pankreatitt: 0,2 % for semaglutid og < 0,1 % for placebo. I den kardiovaskulære endepunktsstudien SELECT var frekvensen av akutt pankreatitt, bekreftet ved avklaring (adjudikering), 0,2 % for semaglutid og 0,3 % for placebo. Ved mistanke bør semaglutid seponeres. Semaglutid skal ikke gjenopptas etter bekreftet pankreatitt. Forsiktighet bør utvises hos pasienter som tidligere har hatt pankreatitt
Tarmobstruksjon: En alvorlig form for forstoppelse med tilleggssymptomer som magesmerte, oppblåsthet og oppkast. Rapportert med ukjent frekvens etter markedsføring
• Puls: Gjennomsnittlig økning på 3 slag per minutt observert
• Skal ikke brukes av gravide eller ved amming. Semaglutid skal på grunn av den lange halveringstiden seponeres minst 2 måneder før en planlagt graviditet
Forsiktighet bør utvises hos pasienter med inflammatorisk tarmsykdom eller gastroparese
• Ungdom (12 - < 18 år): Generelt var frekvens, type og alvorlighetsgrad av bivirkninger hos ungdom tilsvarende det som sees hos voksne. Gallestein ble sett hos 3,8 % av pasientene behandlet med Wegovy® og 0 % behandlet med placebo. Ingen effekt på vekst eller pubertetsutvikling ble funnet etter 68 uker med behandling
Dosering – én gang per uke
Alder
Nyrefunksjon
Kan benyttes uten dosejustering Anbefales ikke
Voksne og ungdom ≥ 12 år Begrenset erfaring hos pasienter ≥ 85 år
Lett og moderat nedsatt eGFR > 30 ml/min 1,73m2
Hjertesvikt NYHA klasse I-III
Leverfunksjon
Lett og moderat nedsatt Forsiktighet bør utvises
Barn/ungdom under 12 år
Alvorlig nedsatt, eller terminal nyresykdom eGFR < 30 ml/min 1,73m2
NYHA klasse IV
Alvorlig nedsatt
Wegovy® skal injiseres subkutant i abdomen, i låret eller i overarmen og administreres én gang per uke når som helst i løpet av dagen, til måltid eller utenom måltid.
For å redusere sannsynligheten for gastrointestinale symptomer bør dosen trappes opp i løpet av en 16-ukers periode til en vedlikeholdsdose på 2,4 mg én gang per uke.
For ungdom i alderen 12 år og eldre benyttes samme doseopptrappingsplan som for voksne (se tabell 2). Dosen bør økes opptil 2,4 mg (vedlikeholdsdose), eller til maksimalt tolererte dose oppnås.




Uke 1-4
Råd til pasient mot kvalme
Reduser måltidsstørrelsen
Reseptgruppe og pris
Vedlikeholdsdose

Uke 5-8 Uke 9-12 Uke 13-16 Fra uke 17 og utover
Reduser inntaket av mettet fett Spis saktere
Legemiddelgruppe: GLP-1-analog Reseptgruppe: C ATC-nr.: A10B J06
Avslutt måltidet ved metthetsfølelse
Pakninger og priser: 0,25 mg: 1,5 ml (ferdigfylt penn) kr 1773,50. 0,5 mg: 1,5 ml (ferdigfylt penn) kr 1773,50. 1 mg: 3 ml (ferdigfylt penn) kr 1773,50. 1,7 mg: ml (ferdigfylt penn) kr 2597,20. 2,4 mg: 3 ml (ferdigfylt penn) kr 3189,40 (Priser per desember 2024).
Behandling med Wegovy® er ikke refundert og kan ikke skrives på blå resept4
Vilkår for vurdering av individuell refusjon:4 Individuell stønad blir som hovedregel ikke gitt til Wegovy®. Dette er en konsekvens av DMPs* metodevurdering. I sjeldne tilfeller kan det gjøres unntak fra hovedregelen. Bare pasienter med KMI over 50 eller iso-KMI over 40, og som i tillegg har alvorlige vektrelaterte sykdommer, blir vurdert individuelt. Slike søknader skal vurderes av en rådgiver før endelig beslutning fattes. En eventuell søknad må komme fra en lege ved et offentlig sykehus.
* DMP: Direktoratet for medisinske produkter, tidligere kalt Legemiddelverket
Referanser 1. Wegovy® SPC, avsnitt 5.1 2. Garvey WT, Batterham RL, Bhatta M, et al. Two-year effects of semaglutide in adults with overweight or obesity (STEP 5) Nature medicine 2022; 28(10), 2083-2091 3. Lincoff AM, Brown-Frandsen K, Colhoun HM, et al. Semaglutide and cardiovascular outcomes in obesity without diabetes. N Engl J Med. 2023; 389(24): 2221-2232 4. Informasjon om vilkår for individuell refusjon er hentet fra: https://www.helsedirektoratet.no/rundskriv/kapittel-5-stonad-ved-helsetjenester/vedlegg-1-til--5-14legemiddellisten/virkestoffer/semaglutid (Lest 14.11.2024)



Interesserte indremedisinere i forelesningssalen



Årets høstmøte samlet yngre og eldre indremedisinere fra hele landet til årets mest interessante konferanse, med temaer fra interstitielle lungesykdommer til hemodynamisk overvåkning. Det var utmerkede lunsjbuffet på Hotel Bristol, mulighet for å se nye medisinske produkter og tid til mingling og prisutdeling for de beste artiklene fra Indremedisineren i 2024. Møt opp neste år!
Ole Kristian H. Furulund, redaksjonen Indremedisineren
Marianne Tønnessen, referent
Tone Svilaas, redaksjonen i Indremedisineren
Det tas forbehold om innholdet da dette er basert på hukommelse og notater/slides fra foredragene
DAG 1
Hva må en generell indremedisiner vite om interstitielle lungesykdommer?
Overlege, Michael Durheim, ved Hjerte- og lungeklinikken på Oslo Universitetssykehus fortalte at interstitielle lungesykdommer er en gruppe lungesykdommer
som affiserer det interstitielle lungevevet, og som kjennetegnes av fibrose og/eller betennelse, noe som gir restriktiv lungefunksjon. Behandlingen varierer fra røykeslutt (Smoking Related Interstitiell Fibrosis) til medikamentell behandling med antifibrotisk legemiddel. På vakt er det viktig å fokusere på håndterbare
problemer som infeksjon, lungeemboli, og pneumothoraks. Steroider haster sjelden og antifibrotisk legemiddel kan som oftest kontinueres, med mindre det er bivirkninger. Hvis pasienten er immunsupprimert, ikke ta sjanse på infeksjoner: Vurder antibiotika.


Interesserte indremedisinere i forelesningssalen
Osteoporosebehandling:
1. Individuelt tilpasset osteoporosebehandling
Endokrinolog Lene B. Solberg ved OUS tok for seg viktigheten av å individualisere osteoporosebehandlingen, spesielt for eldre med flere sykdommer og flere medisiner. Det er viktig å kjenne til indikasjoner og kontraindikasjoner, og spesielt viktig ikke seponere denosumab uten å konferere med endokrinolog eller annen behandler. Teriparatide bør unngås hos pasienter med skjelettmetastaser. Videre er det et poeng at antiresorptiv behandling må ha vært forsøkt før man starter behandling med romosozumab, med mindre osteoporosen er spesielt alvorlig.
2. Optimalisering av utredning, behandling og oppfølging av osteoporose
Overlege Mikkel Pretorius ved Osteoporoseklinikken, Oslo Universitetssykehus (OUS), understreket viktigheten av å utrede og behandle pasienter med osteoporose, samt samarbeide med ortopeder og indremedisinere for optimal oppfølging
Indremedisineren som generalist: Rolle og samarbeid i helsepyramiden
Samfunnsmedisiner Øystein Evjen Olsen beskrev helsetjenesten som mer timeglass-organisert,




Velkommen til høstmøtet 2024
med flere henvisninger direkte til subspesialister og færre til generelle indremedisinere/ kirurger. Dette fører fører til flere kontakter med subspesialister, økte ventelister, rekrutteringsvansker for generalister. For å bøte på dette, bør man fremme tillit til generelle indremedisinere/ kirurger og forbedre nettverket mellom generalister og subspesialister for gjensidig læring og nytte.
Forhåndssamtaler
Maria Tarranger, indremedisiner og ansvarlig for prehospital akutthjelp ved Sahlgrenska universitetssykehus, diskuterte kvaliteten på helsehjelp ved livets slutt. Hun jobber for en






bedre akutthjelp for skjøre eldre og viste data fra Svensk palliativregister, som viser at halvparten av dødsfallene i Gøteborg skjer på sykehus. Kvaliteten på palliativ hjelp ble målt hos pasienter hjemme, ved korttidsenheter, ved palliative enheter og ved Sahlgrenska sykehus, med lavest tilfredshet på sykehuset. Gode kvalitetsindikatorer var informasjon gitt til pasient og de nærmeste, lindring av symptomer, og menneskelig nærvær. Resultatene har ført til økt samarbeid mellom hjelpepleiere og leger for å fokusere på pasientens ønsker. Forhåndssamtaler kan hindre uønskede sykehusinnleggelser og gi trygghet for hjelpepersonell.
Let så skal du finne:
Screening for atrieflimmer
Kardiolog Jarl Jortveit, Sykehuset Sørlandet, fortalte om screening for atrieflimmer (AF). Han tok for seg forutsetninger for screening
generelt; det skal være snakk om et helseproblem, en pålitelig test og en tilgjengelig behandling. Ved slag i Norge påvises AF hos en fjerdedel. AF kan indikeres ved et ikke EKGbasert utstyr, eller påvises AF med intermitterende opptak, slik som Holter eller et implanterbart looprecordersystem. Det er ikke kjent om screening for AF (og påfølgende behandling når AF er påvist) kan gi en effektiv reduksjon av slagforekomst. Jortveit presenterte studien NORSCREEN som hos personer over 61 år skal undersøke om digital selv-screening for AF hjemme med kontinuerlig EKG-overvåkning med en påklistret Smart Heart Sensor resulterer i en effektiv reduksjon av slag.
Beredskap i Norge anno 2024
Overlege Mari Bjørnaas ved CBRNEsenteret ved Ous, Ullevål, redegjorde for CBRNE-hendelser forårsaket av kjemiske stoffer (C), biologiske agens
(B), radioaktive stoffer (R) nukleært materiale (N) og eksplosiver (E) med høyt farepotensial. Nasjonal behandlingstjeneste for CBRNE-medisin er en del av Akuttmedisinsk avdeling ved Medisinsk klinikk, Oslo universitetssykehus og har en nasjonal funksjon i hele behandlingskjeden. Hovedoppgavene inkluderer å være behandlingstjeneste 24/7, gi råd til nødetater og spesialisthelsetjeneste, samt ansvar for kompetanseheving, beredskap og transport av høyrisikosmitte. Hendelser skal håndteres lokalt med nasjonal koordinering, og sykehusene jobber med en All hazards approach for å forberede seg på ukjente trusler.
Hyponatremi
Overlege Renathe Rinsmo, UNN, forklarte at hyponatremi, definert som s-Na under 135 mmol/L er den vanligste elektrolyttforstyrrelsen. Årsakene inkluderer SIADH, binyresvikt, hjertesvikt og levercirrose.


I utredning og behandling tas hensyn til mulig årsak, varighet (akutt/ kronisk >48 timer), volumstatus og behov for sykehusinnleggelse (akutt hyponatriemi, hyponatriemi < 120 mmol/L og symptomatisk hyponatriemi). Hyponatriemi er en potensielt alvorlig tilstand der for rask korreksjon av kroniske tilfeller kan føre til osmotisk demyeliniseringssyndrom. Behandlingen avhenger av årsak, varighet, volumstatus og behov for sykehusinnleggelse. Rinsmo presenterte en algoritmebasert behandling og bruk av hyperton NaCl 3% ved sNa < 120 mmol/L.
Akutte gastrointestinale blødninger
Overlege Anders Egeland ved Bærum sykehus diskuterte akutte gastrointestinale (GI)-blødninger, som deles inn i øvre og nedre GI-blødninger, der skillet går ved Treitz’ ligament. Spesifikke årsaker




til øvre GI-blødninger. Årsaker til øvre GI-blødninger inkluderer ulcerasjon, portal hypertensjon og vaskulære lesjoner. GI-blødninger kan skyldes divertikulose, vaskulære eller inflammatoriske årsaker. GI-blødninger kan også ha neoplasmatiske, traumatiske eller iatrogene årsaker. Til risikostratifisering før skopi brukes blant annet Glasgow-Blatchford score. European Guidelines of Gastrointestial Endoscopy (ESGE) anbefaler iv volumerstatning med krystalloider for øvre GI-blødninger uten varicer og høy dose protonpumpehemmer intravenøst ved akutt GI-blødning.
Deretter var det mingling med litt godt i glasset, der det også ble spilt behagelig jazz musikk av dyktige musikere. I et av innslagene ble prisvinnere kåret for beste artikkel i Indremedisineren foregående år (se eget oppslag).
DAG 2
Workshop om praktisk bruk av ECG247 og om ekkokardiografi ved atrieflimmer
Nytt av i år, var at var to workshops orientert omkring atrieflimmer.
Jarle Jotveit demonstrerte hvordan bruke ECG247, som et nyttig ambulant screeningverktøy for rytmeforstyrrelser. Daniela Milichova veiledet parallelt i om ekkokardiografi og viktige vurderinger ved atrieflimmer. Disse sesjonene var populære og fulltegnet.
Årsmøte Norsk indremedisinsk forening
NIF-leder Trond Vartdal ledet årsmøtet i Norsk indremedisinsk forening (NIF). Det ble redegjort for aktiviteten, der foreningen har bidratt i diskusjonene om generalistkompetanse og det pågående spesialitetsarbeidet. Det ble i år delt ut pris til tidligere leder av spesialitetskomiteen etter mange års



Indremedisineren-redaksjonen deler faglige inntrykk fra møtet.

innsats, redaktør i Indremedisineren for bladets 15-årsjubileum og til Høstmøtekomiteen.
Nye medisinske muligheter: Genterapi og genredigering med CRISPR
Seniorrådgiver Eirik Joachim Tranvåg ved Bioteknologirådet presenterte de nyeste mulighetene innen genterapi og genredigering med CRISPR. CRISPR-metoden ble oppdaget i 2007, og viser hvordan melkesyrebakterier bruker enzymet Cas9 til å gjenkjenne og klippe opp virus-DNA, som fungerer som bakteriens immunsystem.
I medisin kan CRISPR-Cas9 redigere gener i humane celler, klippe ut defekte gener og erstatte dem med friske, noe som gir nye behandlingsmuligheter. Genterapi innebærer overføring av genetisk materiale til celler for å behandle sykdommer. Eksempler inkluderer Zolgensma mot spinal muskelatrofi og CAR-T-terapi.


Disse teknologiene representerer en ny æra innen medisin, hvor genetiske sykdommer kan behandles ved roten. Det er viktig å vurdere sikkerhet og etiske overveielser, inkludert potensielle bivirkninger og risikoer. Pågående forskning og kliniske studier utforsker kontinuerlig bruken av CRISPR og genterapi for ulike sykdommer.
Vexas syndrom
Revmatolog Øivind Midtvedt ved OUS, Rikshospitalet beskrev en 68 år gammel pasient med vedvarende inflammatorisk sykdom, med feber, redusert allmenntilstand, kondritt, iridocyklitt og Sweets syndrom. Han hadde høy SR, CRP, anemi, MCV > 100 og trombocytopeni. Etter flere mislykkede diagnoser ble det oppdaget at pasienten hadde det sjeldne Vexas syndrom, der bokstavene står for: Vakouler (V) som man finner hos myeloide og erytroide prekursorer. E1-Enzym (E) der mutasjoner i UBA1 fører til mangel på cytoplasmisk E1 enzym. X-bundet (X) siden UBA1
genet er lokalisert på X-kromosomet. Autoinflammatorisk (A) grunnet alvorlig inflammasjon, som er steroid avhengig, og Somatisk (S) da mutasjoner i UBA1 er begrenset til myeloide stamceller. Take-home message: Vurder VEXAS ved uklar inflammasjon hos menn med makrocytær anemi. Diagnosen stilles ved genetisk mutasjon i UBA1-genet ( genetikkportalen.no) og behandles i samarbeid med hematolog i form av Prednisolon, Jakavi.Allogen stamcelletransplantasjon hos selekterte pasienter?
Infeksjoner hos pasienter som injiserer rusmidler Overlege Olav Dalgard fra Akershus universitetssykehus (Ahus) holdt et innlegg om infeksjoner hos pasienter som injiserer rusmidler. Mange av disse har nå blitt eldre og nøler med å kontakte helsevesenet av frykt for fordommer og abstinens, og driver med egenbehandling. Ved innleggelse er det viktig å avklare pasientens injeksjonshistorie og tidligere erfaring


Per Mathisen takkes for innsats i spesialitetskomiteen.

med LAR. Ved ikke-daglig bruk kan gis Metadon 20-30 mg x 1, som evt. kan økes med 10 mg daglig. Ved daglig bruk, Metadon 20mg x 2, som kan økes med 20 mg daglig. Vanlige hud- og bløtdelsinfeksjonene som abscess, erysipelas og cellulitt behandles med drenasje og antibiotika. Erysipelas med penicillin eller cellulitt med penicillinase-stabilt penicillin (evt. klindamycin). Endokarditt behandles iht. nasjonale retningslinjer. HIV og HCV er mindre vanlig, men flere utvikler dialysetrengende nyresvikt pga. sekundær amyloidose.
Emosjonelt ustabile pasienter
Psykiater Øyvind Urnes holdt et foredrag om krise hos pasienter med alvorlig ustabil personlighetsforstyrrelse. Typisk er en opplevd hendelse med uoverstigelige vansker som personen ikke tror er mulig å mestre. Uten lette fra denne situasjonen, kan krisen føre til alvorlige emosjonelle, kognitive og atferdsmessige konsekvenser. Det er personens subjektive opplevelse som er avgjørende. Urnes
understreket at beskrivelsen av personlighetsforstyrrelse endres i ny ICD-11 og blir gradert etter alvorlighet. Diagnosen emosjonelt ustabil personlighetsforstyrrelse er «ferskvare» med en varighet på 1-2 år, deretter må ny diagnostikk utføres. Mål for krisebehandling, er å stabilisere, redusere risiko for selvmord, forebygge gjentatte kriser, styrke pasientens autonomi og gjøre selvet mest mulig virksomt. Ved kriser: Konsulter kriseplan hvis pasienten har dette. Ha en rolig og ikke-truende holdning. Prøv å forstå krisen fra pasientens synsvinkel. Utforsk personens grunner for stresset og krisen. Ha en åpen og empatisk holdning når du spør og valider pasientens opplevelser. Forsøk å stimulere til refleksjoner om utløsning av krisen og eventuelle løsninger.
Hemodynamisk overvåkning for indremedisinere
Overlege Eirik Qvigstad ved hjertemedisinsk overvåkning og intensiv ved OUS, påpekte




viktigheten av hemodynamisk overvåkning ved sirkulasjonssvikt. Overvåkningen hjelper med å oppdage, kartlegge og behandle sirkulasjonssvikt. Kliniske tegn på sirkulasjonssvikt er inkluderer 1) endret mental status, 2) oligouri/ anuri, 3) kald/klam hud, marmorering og 4) forhøyet laktat. Ved systolisk blodtrykk under 90 mmHg og tegn til hypoperfusjon (mental påvirkning, hud, urinproduksjon,) samt laktat over 2 mmol/L, er invasiv monitorering nødvendig. Målet er å sikre MAP over 65 mmHg og sentralvenøst trykk over 65-70%.
Ekko cor og PICCO-kateter kan være aktuelt for de dårligste pasientene.
Innlegget er noe bearbeidet med copilot.


Rybelsus® er indisert til behandling av voksne med utilstrekkelig kontrollert diabetes mellitus type 2 for å forbedre glykemisk kontroll som tillegg til diett og fysisk aktivitet:1
• som monoterapi når metformin er vurdert uegnet grunnet intoleranse eller kontraindikasjoner.
• i kombinasjon med andre legemidler til behandling av diabetes.
Se SPC for resultater fra studier vedrørende kombinasjoner, effekt på glykemisk kontroll, kardiovaskulære hendelser og populasjoner som ble undersøkt.
Rybelsus® skal tas på tom mage, etter en anbefalt fasteperiode på minst 8 timer.
Ta en tablett Rybelsus® ut av pakningen og svelge den hel med en slurk vann (maks. 120 ml).
Rybelsus® (semaglutid): Utvalgt sikkerhetsinformasjon2
Les fullstendig preparatomtale før forskrivning
• Svært vanlige (≥ 1/10) bivirkninger: er gastrointestinale, inkludert kvalme og diaré. Hypoglykemi ved bruk sammen med insulin eller sulfonylurea.
• Andre vanlige (≥ 1/100 til < 1/10) bivirkninger: svimmelhet, fatigue, redusert appetitt, økt amylase, økt lipase, komplikasjoner av diabetesretinopati* og andre gastrointestinale bivirkninger^. Hypoglykemi ved bruk sammen med andre orale antidiabetika.
• Mindre vanlige (≥ 1/1 000 til < 1/100) bivirkninger: gallestein, vekttap, eruktasjon.
• Akutt pankreatitt: er observert ved bruk av GLP-1-RA (0,1 %). Ved mistanke bør semaglutid seponeres og ved bekreftet pankreatitt bør behandlingen ikke gjenopptas.
• Diabetisk ketoacidose: har blitt rapportert hos insulinavhengige pasienter etter rask seponering eller dosereduksjon av insulin når behandling med en GLP-1reseptoragoinst ble startet.
• Dysgeusi (smaksforandringer): er blitt rapportert.
• Puls: det er observert en økning på 1-4 slag per minutt.
• Skal ikke brukes hos pasienter med diabetes type 1, av gravide (seponeres minst 2 måneder før planlagt graviditet) eller ved amming
• Det er ingen terapeutisk erfaring med semaglutid hos pasienter med bariatrisk kirurgi.
^ Abdominale smerter og distensjon, forstoppelse, oppkast, dyspepsi, gastroøsofageal reflukssykdom, gastritt, flatulens.
Vent minst en halvtime før inntak av mat, drikke og eventuelle andre legemidler som tas oralt.
Kan benyttes uten dosejustering
Alder Begrenset erfaring hos pasienter ≥75 år
Nyrefunksjon
Lett, moderat eller alvorlig nedsatt funksjon. Begrenset erfaring ved alvorlig nedsatt nyrefunksjon
Anbefales ikke
Barn/ungdom under 18 år
Terminal nyresykdom (eGFR < 15 ml/min 1,73m2)
Hjertesvikt NYHA klasse I-III NYHA klasse IV
Leverfunksjon
Mild, moderat og alvorlig nedsatt. Begrenset erfaring ved alvorlig nedsatt leverfunksjon
* Kombinasjon av: retinal fotokoagulasjon, behandling med intravitreale midler, intravitreal blødning, diabetesrelatert blindhet (mindre vanlig). Frekvens basert på kardiovaskulær endepunktsstudie med ukentlig subkutan semaglutid.3
ATC-kode: A10B J06 (Glukagonlignende peptid-1 (GLP-1) -analoger)
Refusjon4,5
Det kan søkes om individuell refusjon på blå resept for Rybelsus® ved diabetes mellitus type 2 (ICPC-2 T90/ICD-10: E11) i kombinasjon med metformin, og/eller sulfonylurea og/eller insulin, hos pasienter som ikke har oppnådd tilstrekkelig glykemisk kontroll på høyeste tolererte dose av disse legemidlene. Det skal i søknaden oppgis en vurdering av minst ett av de nevnte legemidlene over.# Rybelsus® skal brukes i kombinasjon med et legemiddel med metformin eller sulfonylurea eller insulin.
Rybelsus® 7 mg 30/90 stk. blisterpakning (146870/439553)
Rybelsus® 14 mg 30/90 stk. blisterpakning (383205/047094)
# Monoterapi med Rybelsus® eller Rybelsus® i kombinasjon med andre diabeteslegemidler enn metformin/SU/insulin er ikke metodevurdert av DMP, og HELFO kan ikke vurdere individuell stønad til slik behandling.
/
Rybelsus® er ikke indisert for vektreduksjon. Gjennomsnittlig reduksjon i kroppssvekt i PIONEER 1-8 studiene var for vedlikeholdsdosene 7 mg og 14 mg i uke 26 fra 2,2 - 4,4 kg.1 Referanser: 1. Rybelsus® SPC, avsnitt 4.1, 4.2, 5.1. 2. Rybelsus® SPC, avsnitt 4.2, 4.4, 4.6, 4.8, 5.2 og 5.3. 3. Marso SP, Bain SC, Consoli A et al. Semaglutide and Cardiovascular Outcomes in Patients with Type 2 Diabetes (SUSTAIN-6). NEJM 2016;375:1834-1844 4. Helsedirektoratet. Fullstendige villkår for individuell stønad Rybelsus®. Tilgjengelig på: https://www.helsedirektoratet.no/rundskriv/ kapittel-5-stonad-vedhelsetjenester/vedlegg-1-til--5-14-legemiddellisten/virkestoffer/semaglutid-3 (Lest: 08.08.24). 5. Felleskatalogen Rybelsus®. Tilgjengelig fra https://www.felleskatalogen.no/medisin/ rybelsus-novo-nordisk-675190 (Lest: 08.08.2024).
Novo Nordisk Norway AS Nydalsveien 28 · Postboks 4814 Nydalen 0484 Oslo
Telefon: +47 22 18 50 51 www.novonordisk.no
E-post: Kundeservice-norge@novonordisk.com

Da jeg for ca 40 år siden forsvarte min avhandling om pankreas polypeptid (PP), ba min gode sjef Erik Gjone meg om å orientere når det skjedde noe spennende innenfor fagområdet. Nå har det spennende skjedd, og jeg velger å følge Gjones oppfordring gjennom et leserinnlegg i Indremedisineren
Paul Linnestad, gastroenterolog og tidligere leder i Norsk indremedisinsk forening
Før jeg røper spenningen, vil jeg orientere om Inkretinene: hormonene som produseres i tynntarmen, og som stimulerer betacellene i pankreas til å levere insulin. To inkretiner er kjent: GIP (glukoseavhengig, insulotropt peptid) og GLP-1 (glukagonliknende peptid 1). De er begge tatt i bruk som behandling ved sukker syke, og de skapte en uventet begeistring da pasientene også gikk ned i vekt! Dermed gikk vi inn i en ny æra, der GLP-1 - preparater (liraglutid, og senere semaglutid) ble tatt i bruk for å behandle overvekt, vår moderne folkesykdom. Nå er også tirzepatid nettopp kommet på markedet med både GLP-1- og GIPegenskaper.
Effekten var så god at liraglutide ble registrert som blåresept-medisin ved fedme, og endel tillot seg likesågodt å forskrive semaglutide, med samme effekt. Entusiasmen var så sterk på begge sider av reseptblokken at
staten forliste 300 mill kr i løpet av ett år pga uberettigede blåresepter.
En observasjon som knytter PP til inkretinene, er at GIP frisetter PP til blodet.
PP er medlem av peptidfamilien NPY sammen med nevropeptid Y og peptid tyrosin tyrosin (PYY). Alle NPY-peptidene binder seg til spesifikke reseptorer, og denne bindingen påvirker energibalansen. NPY og PYY binder seg til reseptorene Y1 og Y5 med økt matlyst og energiinntak og til Y2 med redusert næringsinntak. PP binder seg til reseptor Y4, og bindingen fører til svekket matlyst og vekttap. NPYreseptorene finnes både i sentralnervesystemet og i perifere vev.
Den spennende nyerkjennelsen er at PP gjennom stimulering av hypotalamus reduserer matlyst og -inntak og er med å overvåke kroppsvekten, og
at PP motvirker diabetes ved å styrke betacellene og beskytte dem mot apoptose.
En meget sentral oppdatering av PP’s rolle er beskrevet artikkelen «PP revisited: Potential therapeutic effects in obesity-diabetes», skrevet av Wuyun Zhu et al og publisert i Peptides 160 (2023)170923.
Forfatterne omtaler PP’s virkning mot overvekt og diabetes og konkluderer at PP er et aktuelt legemiddel, men det bør utvikles en modell som gir lengrevarende hormonproduksjon og som ikke brytes ned av enzymer.
Du som sliter med overvekt og sukker syke, kan drømme om en framtid, som kanskje ikke er så fjern, når PP vil komme til et apotek nær deg med støtte og hjelp.

Norsk Endokrinologisk forening (NEF) besluttet ved årsmøtet i 2021 å styrke foreningens faglige forankring ved å opprette nasjonale interessegrupper innenfor hypofyse og binyre, diabetes, fedme og metabolisme, osteoporose og kalsium, tyreoidea og reproduktiv endokrinologi. Det var ønskelig at alle helseregioner var representert i hver gruppe.
Interessegruppen for kalsium og bensykdommer ledes av Anne Lise Olsen ved Akershus Universitetssykehus, og består i tillegg av Mikkel Pretorius, Oslo Universitetssykehus, Kiarash Tazmini, Oslo Universitetssykehus, Guri Grimnes, Universitetssykehuset Nord Norge, Chandima Balasuriya, St. Olavs Hospital, Trondheim og Hildegunn Aarsetøy, Stavanger Universitetssjukehus.
Vi har bidratt med revisjon av flere kapitler i Nasjonal veileder i endokrinologi (osteoporose, primær hyperparatyroidisme, og hypoparatyroidisme), samt utarbeidelse av nye kapitler (sekundær osteoporose, osteoporose hos unge, osteoporose ved kronisk nyresykdom og hos nyretransplanterte, Pagets sykdom
og Aclasta prosedyre). Målet er å ferdigstille et kapittel om osteogenesis imperfekta i samarbeid med Sunnaas sykehus i løpet av vinteren. Kapitlene er basert på anbefalinger fra inter nasjonale guidelines, og skal bidra til å harmonisere utredning og behandling på tvers av Norge.
Interessegruppen har sammen med styret i NEF vært i møte med brukerorganisasjonene, Norsk osteoporoseforbund og HypoPARA Norge. Det har blant annet vært reist bekymringer vedrørende produksjonstans i paratyroideahormon, Natpar, som brukes ved vanskelig behandlingsbar hypoparatyroidisme, og godkjenning av oppfølgeren, Yorvipath (TransConPTH).

Vi har vært en støttespiller i arbeidet for å sikre en samstemt nasjonal faglig retningslinje for utredning og behandling av osteoporose i samarbeid med andre spesialiteter. Om vi har hatt direkte påvirkning på avgjørelsene i stortinget vites ikke, men vi gleder oss nå over at det av Nasjonal Helse og Samhandlingsplan 2024 -27 (Vedtak 687) fremgår at Stortinget ber regjeringen foreta en særskilt oppdatering av retningslinjene for kvinnesykdommer der de starter med Nasjonal prioriteringsveileder for kvinnesykdommer, retningslinjer for angst og depresjon og de faglige retningslinjene for forebygging og behandling av osteoporose og osteoporotiske brudd.
Vi har vært tilgjengelige for kommentarer utad i media, og har vært i dialog med representant for Felles nettløsning for spesialisthelsetjenesten (FNSP) i forhold til hvordan vi kan bidra med pasientinformasjon. Interessegruppen har dessuten vært involvert i høringsinnspill for bytteliste medikamenter for det anabole osteoporosemedikamentet, teriparatid.
I forbindelse med det årlige Endokrinologiske vintermøtet bidrar vi med forslag til foredragsholder og tema, samt faglig innhold til Indremedisineren. I år ble det en oversiktsartikkel om primær hyperparatyroidisme ved Mikkel Pretorius.
Å kunne samle et nettverk av beinog kalsiumentusiaster for faglige diskusjoner og oppdateringer på digital plattform annenhver måned, i tillegg til mail, opplever vi som utrolig nyttig, og vi håper at det til syvende og sist vil komme mange pasienter til gode.


Høstens vakreste eventyr for lungeleger er Norsk forening for lungemedisin (NFL) sitt Høstmøte. Her møtes kollegaer fra nær og fjern. Tradisjonelt har møtet funnet sted i Oslo, men etter et svært vellykket møte i Bergen for to år siden, fortsatte NFL suksessen med høstmøter utenfor hovedstaden. Denne gang ble vi invitert til vakre NordNorge. Årets høstmøte fant sted på Scandic Havet Hotel i Bodø. Torsdag kveld var det avdelingsledermøte med fokus på LISutdanning, fagsymposium om alfa1antitrypsinmangel og LISkveld om bronkoskopi.
Bernt Aarli, Norsk forening for lungemedisin
Sverre Lehmann startet det faglige programmet på fredag med innlegg om søvnapné. Hvem skal ha CPAP, og hva hjelper det, hvoretter Årstein Ims snakket om kronisk hoste; Lungelegens svøpe eller håp i hengende snøre? Detter fulgte 2 innlegg om lungekreft hvor Terje Skraastad snakket om Neo-adjuvant immunterapi og Janna Berg om forskjellen på hvordan onkologer og lungeleger behandler lungekreft.
Det faglige programmet ble etterfulgt av generalforsamling. NFL teller nå 414 ordinære medlemmer, hvorav
266 er aktive spesialister. En stor medlemsfordel er at kontingenten dekker medlemskapet i European Respiratory Society, med alle tilhørende fordeler. I løpet av det siste året har foreningen satt søkelys på å etablere nasjonal nettundervisning, som et ledd i å styrke utdanning og etterutdanning for lungeleger i Norge. Årsmeldingen, regnskapet, noter og budsjett ble godkjent uten innvendinger, ved akklamasjon. Deretter ble det gjennomført valg til flere verv i foreningen. Med stor glede hedret vi dekanus ved det medisinske fakultet, Universitetet i Bergen, Per Bakke

som nytt æresmedlem i foreningen, i anerkjennelse av hans langvarige innsats for lungefaget (se bilde).
Mange steder i landet står man overfor et generasjonsskifte og utdanningstakten av nye lungespesialister har vært for lav. Derfor feirer vi med stor glede at det siste året har gitt oss hele atten nye lungespesialister. Fem var til stede på Høstmøtet og ble hedret med diplom for godkjent spesialitet.


æresmedlem i NFL, Per Bakke. Foto: Bernt Aarli.

Priser
Hvert år deles det ut en rekke prestisjefulle priser. Det gis priser for forskningsformidling i høyt rangerte tidsskrift, pris for beste kasuistikk og for beste frie foredrag. I tillegg ble det delt ut 5 stipend for fremragende forskning innen lungemedisin.
Prisene for beste artikler ble gitt til: Solveig Tangedal, Janna Berg og Arne Kildahl-Andersen.[1-3] Beste frie foredrag ble vunnet av Tonje Reier-Nilsen, og beste kasuistikk gikk til Astrid Sandnes for hennes foredrag om komplikasjoner ved intravenøs injeksjon av morfinpreparat ment for peroral administrasjon.
Forskningsstipendet i kategorien obstruktive lungesykdommer fra AstraZeneca ble tildelt Anders Ørskov Rotevatn, HUS, for prosjektet «Tarmens mikrobiota ved kronisk obstruktiv lungesykdom». GSK sitt stipend for lunge sykdommer ble tildelt Solveig Tangedal, HUS, for «Pulmonary microbiome dysbiosis and functional pathway analysis
in chronic disease». Boehringer Ingelheim sitt stipend for lungesykdommer ble gitt til Phuong Phuong Diep, OUS, for «Evaluering av interstitiell lungesykdom hos pasienter med revmatoid artritt og bindevevssykdommer». Olympus sitt stipend ble tildelt Tonje Reier-Nilsen, St. Olavs for «Exercise-induced laryngeal obstruction and its relation to exercise-induced bronchoconstriction». Chiesi sitt stipend gikk til Janna Berg, Sykehuset i Vestfold for «Predictive markers for early recurrence and radiation pneumonitis after curatively intended radiotherapy for lung cancer» og Sanofis forsknings stipend gikk til Anders Ørskov Rotevatn, HUS, for «The gut microbiome in COPD – antimicrobial resistance, phenotypes and metabolites».
Prisutdelingen ble etterfulgt av pro/ kontradebatt om vaping, hvor Karl Erik Lund fikk det utakknemlige ansvaret å forsvare vaping mot Frode Gallefoss. Styret i NFL var klare
på standpunktet om å ikke tillate innføringen av nye inhalerte nytelsesmiddel. Det eneste NFL anbefaler er inhalasjonen av medikamenter og ren luft.
Deretter avsluttet kvelden med festmiddag hvor toastmaster Erik Liaaen stødig tok oss gjennom programmet. Frode Gallefoss underholdt med sitt skjeve syn på verden akkompagnert av Runar Nørsett med nydelig klavermusikk. Lørdag morgen handlet om respirasjonsfysiologi før de fleste tok turen hjemover. Noen valgte å bli igjen og fikk oppleve fantastisk nordlys på lørdagskvelden. Med spennende program, godt oppmøte, priser og underholdning, ble høstmøtet 2024 en stor suksess. Takk til dere alle som deltok!
Referanser
1. Tangedal, S., et al., Lower airway microbiota in COPD and healthy controls. Thorax, 2024.
2. Gouliaev, A., et al., Multi-disciplinary team meetings for lung cancer in Norway and Denmark: results from national surveys and observations with MDT-MODe. Acta Oncol, 2024. 63: p. 678-684.
3. Kildahl-Andersen, A., et al., Navigated ultrasound bronchoscopy with integrated positron emission tomography-A human feasibility study. PLoS One, 2024. 19(8): p. e0305785.

Torsdag 7. november ble det avholdt geriatrisk høstmøte på Legenes hus i Oslo. Med 90 deltakere og bidragsytere fra hele landet ble det en faglig variert dag med mange gode og til dels svært engasjerende innspill. Hvordan vi best kan håndtere eldre pasienter med adferdsforstyrrelser i sykehus og ulike aspekter rundt «god alderdom» er var møtets hovedsesjoner.
Martin Lerstang Mikkelsen, lege i spesialisering geriatri, Ullevål universitetssykehus.
Adferdsforstyrrelser og akutt somatisk sykdom
Håkon Olafsen Waaler fra alderspsykiatrisk avdeling på Gaustad og overlege Marc Vali Ahmed fra geriatrisk avdeling på Ullevål åpnet det faglige programmet med å snakke om utfordringer og muligheter i skjæringspunktet mellom alderspsykiatri og geriatri. Akutt geriatrisk sengepost på Ullevål tar først og fremst imot eldre pasienter over 70 år med akutt eller subakutt funksjonssvikt på grunn av somatisk sykdom. På alderspsykiatrisk avdeling på Gaustad behandler de helst eldre over 65 år med psykisk sykdom eller pasienter med adferdsforstyrrelser og psykiatriske symptomer ved demens uavhengig av alder. Fordi man alltid må utelukke somatisk sykdom som årsak til psykiatriske symptomer, og fordi alderspsykiatrien ikke har akuttplasser, er det viktig med et godt samarbeid mellom de to
avdelingene. Dette er blant annet løst med ukentlig gjensidig tilsynsordning på sengepostene, med ønske om å videreutvikle tilbudet.
Oppdatering fra faggruppene
Norsk forening for geriatri har seks faggrupper, som alle var representerte på høstmøtet. Det ble en god oppdatering av hvor vi står i dag, og en spennende introduksjon til hvor vi ser for oss at fagene kan bevege seg videre i fremtiden.
Demens
Førsteamanuensis og overlege ved geriatrisk avdeling på Haraldsplass, Ragnhild Skogseth forsker på biomarkører ved demenssykdom og ga oss en god oppsummering av fagfeltet. Nevrofilament-lettkjede (NfL) inngår i nervecellenes cytoskjelett. Et utslipp av disse i blodet indikerer skade på nervecellene. NfL kan nå tas i en vanlig blodprøve, og har flere
mulige bruksområder i fremtiden. NfL kan for eksempel bli aktuell for å skille mellom demens og psykiatri, perifer og sentral svimmelhet, avgjøre om pasienten har hatt et TIA eller indikere effekt av MS-behandling. P-tau 217 blir også tilgjengelig, og regnes somen spesifikk biomarkør i blodet for Alzheimers sykdom, men denne er foreløpig kun i bruk i forskningssammenheng.
Delir
Paal Naalsund, overlege på Haraldsplass brukte tiden til å minne oss på å se etter og diagnostisere delir, da vi fortsatt er for lite bevisste i hverdagen. I den anledning trakk han frem Deliriumdagen (12. mars 2025!) og effekten av å få delir vurdering inn som en naturlig del av pasientjournalen. Flere sykehus har fått 4AT inn som en del av legenes innkomstjournal, og forhåpentligvis vil også bruk av 4AT bli mer naturlig for


Akuttgeriatri og alderspsykiatri: Overlege ved alderpsykiatrisk avdeling på Gaustad, Håkon Olafsen Waaler (til høyre), og overlege ved geriatrisk avdeling på Ullevål, Marc Vali Ahmed, minnet oss om viktigheten av godt samarbeid mellom de to avdelingene. Foto: Siri Rostoft.
sykepleiere og andre yrkesgrupper som ser pasienten i løpet av en innleggelse. Særlig er det viktig at et eventuelt delir i løpet av et behandlingsløp kommer med i epikrisen, med tanke på videre oppfølging og eventuelt senere vurdering av kognitiv svikt.
Skrøpelighet
Skrøpelighet er også flere steder blitt en naturlig del av pasientjournalen. For eksempel har dette vært en del av legenes innkomstjournal i Vestfold de siste årene. Dette fører til større bevissthet om skrøpelighet for legene i mottak, men også for andre leger som følger pasienten gjennom behandlingsløpet. Å øke bevisstheten om skrøpelighet og hvordan en god skrøpelighetsvurdering kan brukes i behandlingsvurderinger innenfor andre spesialistområder, var også overlege fra geriatrisk avdeling på Ullevål og professor II ved UIO, Siri Rostofts hovedbudskap. På Ullevål har særlig hjertelegene blitt flinke til å bruke geriatere i skrøpelighetsvurdering av pasienter før elektiv kirurgi. Det samme gjelder onkologene. For sistnevnte fagområde kommer det i tillegg snart en ny nasjonal veileder for behandling
av kreft hos eldre, hvor man særlig fremhever nytten av skrøpelighetsvurderinger før elektiv kirurgi. En annen måte å øke bevisstheten for skrøpelighet er å få retningslinjene inkludert på metodebok.no
Slag
PhD og overlege fra slagavdeling på Ullevål, Guri Hagberg, presenterte norsk slagforskning med et imponerende antall artikler innen en bred variasjon av geriatriske tema i løpet av det siste året. Videre ble det informert om de viktigste «nyhetene» innen slagbehandling, som også kommer til å inkluderes i de nasjonale retningslinjer som nå er under revisjon. Det mest sentrale vargodkjenningen av tenekteplase ved iskemisk hjerneslag, som vil kunne forenkle administrasjonen ev trombolyse da det kun gis som bolus uten påfølgende infusjon. Utvide tidsvindu for trombolyse til inntil 9 timer etter debut av slaget ved bruk av CT eller MR perfusjonsundersøkelser, og raskere oppstart av antikoagulasjon etter hjerneslag.
Ortogeriatri
Ortogeriatri var den første og er trolig fortsatt den største tverr faglige

Panel: Forfatter og enræringsbiolog Marit Kolby (til høyre), professor og overlege i geriatri Geir Selbæk, forsker ved Idrettshøgskolen Tormod Skogstad Nilsens og overlege i geriatri Jelena Soares innledet og samtalte om god alderdom. Foto: Norsk forening for geriatri.
samarbeidsarenaen for geriatere med andre spesialister. Geriater og overlege ved mottaksklinikken på Haukeland, Ole Martin Steinhaug gikk gjennom status for fagfeltet og minnet oss på at retningslinjene for behandling av hoftebrudd skal revideres. I den anledning ble det også trukket frem viktigheten av formalisering og tilgjengelighet for retningslinjene, og man vil jobbe med at disse skal inkluderes på metodebok.no
Palliasjon
Marc Vali Ahmed presenterte palliasjonsgruppens arbeide. De hadde særlig jobbet med palliativ demensomsorg, høringen om opprettelsen av spesialitet i palliativ medisin og høringen om behandlingsbegrensinger. I tillegg har de startet et prosjekt om forhåndssamtaler og livets siste dager.
Kasuistikk konkurranse Sykehjemslege Tora Stensvold, og LIS i geriatri på St. Olavs, Karin Eidsli Røstum var invitert til å legge frem hver sin kasuistikk fra klinisk hverdag. Stensvold viste oss ved hjelp av lydopptak av pasientsamtaler fra sykehjem hvordan den palliative fasen ofte går langt utover selve den

Mentor: Forskningssjef i Nasjonalforeningen og dr.med Anne Rita Øksengård imponerte og inspirerte. Foto: Norsk forening for geriatri.
terminale fasen, og hvorfor vi leger bør tenke på palliasjon og å avslutte livsforlengende behandling lenge før vi vanligvis gjør det. Røstum presenterte en kasuistikk som synliggjorde viktigheten av å raskt identifisere årsaken til delir, og risikoen for forsinket behandling og langvarig sykehusopphold dersom dette ikke gjøres. Det var to gode presenta sjoner som begge skapte diskusjon og ettertanke hos alle fremmøtte. Juryen valgte Stensvold som vinner av årets kasuistikk konkurranse.
God alderdom
Hvilke forhold som i størst grad bidrar til god alderdom og hva de eldre vektlegger, varierer stort fra person til person. Dette var temaet for årets panelsamtale. Professor ved UIO, psykiater og overlege i geriatri, Geir Selbæk, innledet om teoriene rundt aldringsprosesser, iboende kapasitet og viktigheten av positiv holdning til aldring. Overlege PhD ved geriatrisk avdeling på Lovisenberg, Jelena Soares, forklarte oss hvilke rolle ernæring kan ha i utviklingen av demenssykdom, men understreket også at ernæring er en svært sammensatt faktor og at forskningsresultatene – også på nevroprotektive
næringsstoffer som antioksidanter og B-vitaminer – derfor blir tilsvarende usikre. Generelt anbefalte hun å følge de nasjonale kostholdsrådene. Vi kunne også med fordel tenke enklere om fysisk aktivitet. Dette var PhD og forsker ved Idrettshøgskolen Tormod Skogstad Nilsens viktigste budskap. Selv om de fleste har godt av å være i moderat aktivitet mellom 20 og 40 minutter minst tre dager i uken, er ikke fysisk aktivitet enten-eller, og det er viktigere for folkehelsen å motivere helt inaktive til 5 minutter aktivitet daglig enn å få en som allerede er aktiv til å trene mer. Forfatter og ernæringsbiolog ved Oslo nye høyskole (tidligere Bjørknes), Marit Kolby, hjalp oss å se nærmere på maten vi spiser og introduserte oss for graden av prosessering i matproduksjon. Dette er et forholdsvis nytt område, men foreløpig er forskningen entydig i at økt grad av prosessering av maten, gir økt sykelighet hos oss som spiser den. Særlig bør vi holde oss unna ultraprosessert mat. For å hjelpe oss til å enklere få oversikt over prosesseringsgraden, anbefalte hun NOVO-klassifisering som også flere matvareprodusenter forhåpentligvis vil forholde seg til. Samtalen mellom paneldeltakerne
var interessant, fremmet det positive synet på aldring og fikk oss til å huske på at helse er mer enn bare å unngå sykdom. Det var mange som måtte hjem å bake sitt eget brød etter debatten.
Kommunikasjon med pasienter med kognitiv svikt
Det kommer stadig nye verktøy til bedre pasientkommunikasjon. Overlege PhD ved geriatrisk avdeling Ahus Marte Mellingsæter presenterte et nytt kurs i kommunikasjon med pasienter med kognitiv svikt. Kurset er aktuelt for flere typer helsepersonell, og ønsker å gjøre oss tryggere i møte med pasienter med demens eller delirum. Kurset ligger åpent på nett: https://www. kompetansebroen.no/aktuelt/nyttkurs-kommunikasjon-med-pasientermed-kognitiv-svikt ?o=oslo
Møt en mentor
Det har etter hvert blitt mange forbilder for oss unge geriatere. I år var det forskningssjef i Nasjonalforeningen og dr.med Anne Rita Øksengård som fortale oss om geriatriens historie og sin egen vei gjennom faget. Hun har gjennom mange år fungert som en trygg mentor for mange LIS leger ved hukommelsespoliklinikken på Bærum Sykehus. Til tross for en inspirerende og imponerende karriere, holdt hun fokus på fagfeltet og fremhevet behovet for kontinuitet i arbeid med demenssykdommer fra et folkehelseperspektiv. Særlig spennende blir det til neste år å se hva som skjer med det videre arbeidet med demensplaner. Det er en forutsetning at grunnforskningen og den kliniske forskningen går hånd i hånd, og forhåpentligvis vil vi kunne se positive resultater ettersom grunnforskningen på kunstig intelligens og biomarkører i diagnostikken, testes ut i klinisk praksis.
Takk til Takk til høstmøtekomiteen for et variert og faglig sterkt program, og til alle de fremmøtte for gode innspill og fin stemning undervegs.

Utvalgt sikkerhetsinformasjon:
• Kontraindisert ved sykdommer og/eller tilstander som fører til hyperkalsemi eller hyperkalsiuri.
• Kontraindisert ved nefrolitiasis, nefrokalsinose og hypervitaminose D.
• Nedsatt nyrefunksjon: Ved alvorlig nedsatt nyrefunksjon kan andre former for vitamin D være nødvendig. Brukes med forsiktighet ved nedsatt nyrefunksjon. Effekt på kalsium-og fosfatnivået bør kontrolleres.
• Bør forskrives med forsiktighet ved sarkoidose og bør kontrolleres mht kalsiuminnhold i serum og urin.
• Ved langtidsbehandling bør kalsiumnivåene i serum kontrolleres og nyrefunksjonen kontrolleres ved målinger i serumkreatinin. Spesielt viktig hos eldre som bruker hjerteglykosider eller diuretika, og de med stor tendens til caculusdannelse.
• Divisun inneholder isomalt, sukrose og natrium.


• En gang daglig. Pasienters individuelle behov avgjør hvilken styrke som velges.
• Dosen skal justeres avhengig av ønskede serumnivåer av 25-hydroksykolokalsiferol (25(OH)D), sykdommens alvorlighetsgrad og pasientens respons på behandlingen.
• Dagsdosen bør ikke overskride 100μg (4000 IE). Divisun 100μg, med delestrek for lettere å kunne svelges. Kan tas med eller uten mat, kan svelges hele eller knuses ved behov.
• Individuell refusjon for Divisun med blåreseptsøknad, ifølge § 5-14, blåreseptforskriften, sendes via tjenesteportalen for helseaktører. Kodene for individuell refusjon finner du ved å lese av QRkoden.1
Oppbevaring: Maks 30°C, i originalpakningen for å beskytte mot lys og fuktighet. Pakninger og priser: Reseptgruppe C. Alle styrker inneholder 90 tabletter i blisterpakning. 20µg: kr 170,- 50µg: kr 355,30 og 100µg: kr 412,40.
Ytterligere informasjon preparatomtalen, SPC:
• Divisun SPC: 800 IE, 2000IE og 4000IE (30.06.2023)


Referanse: 1. Helsedirektoratet, rundskriv, stønad ved helsetjenester, vedlegg 1 til § 5-14 legemiddellisten, sist faglig oppdatert: 08.08.2023
Viatris AS | Hagaløkkveien 26, PB 194, 1371 Asker, Norway infonorge@viatris.com – www.D-vitaminmangel.no
Tenk på det!
ATTR-CM er en dødelig sykdom som det er lett å overse.
Den er også lett å diagnostisere – bare du tenker på det!

Referanser:
LV veggtykkelse ≥ 12 mm
Tenk på transtyretin amyloid kardiomyopati (ATTR-CM) når du ser: 1,2
Venstre ventrikkel (LV) veggtykkelse ≥ 12 mm
Hjertesvikt
Pasient ≥ 65* år
Les mer på www.kardialamyloidose.no

Se Rune Mo sitt foredrag “Hvem skal utredes for ATTR hjerteamyloidose og hvordan?” www.pfi.sr/utred
* Menn ≥65 år eller kvinner ≥ 70 år. 3
1. Dorbala S, Ando Y, Bokhari S, et al. J Nucl Cardiol. 2019;26(6):2065-2123.
Addendum: J Nucl Cardiol. Published online July 1, 2021.
2. Garcia-Pavia P, Rapezzi C, Adler Y, et al. Eur Heart J. 2021;42(16):1554-1568.
3. Witteles RM, Bokhari S, Damy T, et al. JACC Heart Fail. 2019;7(8):709-716.