










![]()











Helseforetakene anbefaler Calquence i anskaffelsen fra 1/10-2024. Førstevalg BTK hemmer ved KLL i førstelinje for høyrisiko pasienter (del17p, mutTP53 eller del11q) og for pasienter med tilbakefall1
CALQUENCE er indisert for behandling av voksne med tidligere ubehandlet kronisk lymfatisk leukemi (KLL) som monoterapi eller i kombinasjon med obinutuzumab, eller som monoterapi for behandling av voksne med kronisk lymfatisk leukemi (KLL) som har fått minst én tidligere behandling.2

Helseforetakene anbefaler Calquence som førstevalg BTKi i anskaffelsen fra 1/10-20241

Viktig sikkerhetsinformasjon
Alvorlige blødninger er sett. Pasienter som bruker antitrombotiske midler kan ha økt risiko for blødning og forsiktighet skal utvises ved bruk. Atrieflimmer/flutter forekom hos pasienter med hematologiske maligniteter både ved monoterapi og i kombinasjon med obinutuzumab.2
Viktig informasjon om Calquence (akalabrutinib)
Dosering: Voksne: Anbefalt dose er 100 mg 2 ganger daglig. Behandling bør fortsette inntil sykdomsprogresjon eller uakseptabel toksisitet. Forsiktighetsregler: Pasienter som bruker antitrombotiske midler kan ha økt risiko for blødning og forsiktighet skal utvises ved bruk. Warfarin eller an-dre vitamin K-antagonister skal ikke gis samtidig med akalabrutinib. Overvåk for symptomer på atrieflimmer og atrieflutter og foreta EKG om nødvendig. Ved høy risiko for tromboembolisk sykdom, skal nøye kontrollert behandling med antikoagulanter og andre behandlingsalternativer vurderes. Interaksjoner: Samtidig bruk av sterke CYP3A-hemmere skal unngås; kan gi økt eksponering for akalabrutinib og dermed økt risiko for toksisitet. Dersom slike hemmere skal brukes i en kort periode (f.eks. antiinfektiva i opptil 7 dager), skal behandlingen avbrytes. Pasienten skal overvåkes nøye hvis en moderat CYP3A-hemmer brukes. Samtidig bruk av en CYP3A-induktor og sterke CYP3A4-induktorer skal unngås; vil kunne gi redusert eksponering og risiko for manglende effekt. Akalabrutinib kan øke eksponeringen for samtidig administrerte BCRP-substrater (f.eks. metotreksat) ved å hemme BCRP i tarm. Metabolitten ACP-5862 kan øke eksponeringen for samtidig administrerte MATE1-substrater (f.eks. metformin). Bivirkninger: Monoterapi: Vanligste bivirkninger(≥ 20 %): Infeksjon, hodepine, diaré, blåmerker, muskel- og skjelettsmerter, kvalme, fatigue, hoste og utslett. De vanligste (≥ 5 %) bivirkningene av grad ≥ 3 var infeksjon, leukopeni, nøytropeni og anemi. Kombinasjonsbehandling: Vanligste bivirkninger (≥ 20 %): Infeksjon, muskel- og skjelettsmerter, diare, hodepine, leukopeni, nøytropeni, hoste, fatigue, artralgi, kvalme, svimmelhet og forstoppelse. De vanligste (≥ 5%) bivirkningene av grad ≥ 3 som ble rapportert var leukopeni, nøytropeni, infeksjon, trombocytopeni og anemi. Pakninger og priser: 60 stk. (blister) kr 69.842,20. Reseptgruppe C. Refusjon: H-resept. Rekvirering skal gjøres i tråd med anbefalinger fra RHF, og refusjon ytes kun etter resept fra sykehuslege eller avtalespesialist. Calquence er godkjent refundert som monoterapi eller i kombinasjon med et anti CD20-antistoff, til behandling av voksne pasienter med tidligere ubehandlet kronisk lymfatisk leukemi (KLL) med 17p-delesjon/TP53-mutasjon og/eller 11q-delesjon, eller som monoterapi hos KLL pasienter som har fått minst én tidligere behandling.
For mer info. om Calquence, les FK tekst på www.felleskatalogen.no eller godkjent SPC. Beslutningsforum for Nye Metoder, sak 153-20221, og sak 167-20221, www.nyemetoder.no ID: NO-12900-09-24-ONC
Referanser: 1. https://www.sykehusinnkjop.no/avtaler-legemidler/onkologi 2. Calquence SPC. section 4.1, 4.4, 5.1

Styret i Norsk indremedisinsk forening:
Trond Vartdal
Leder
Knut Lundin
Nestleder
Cecilie H Nordmo
Styremedlem
Runa Andreassen
Styremedlem
Hamza Nahoui Leder NYI
Redaktører:
Stephen Hewitt
(ansvarlig redaktør)
OUS Aker
stehewi@online.no
T: 913 72 199
Ole Kristian H. Furulund (assisterende redaktør)
Kommuneoverlege i Bærum
Fagredaktører:
Bernt Aarli (Lungemedisin)
Haukeland universitetssykehus
Eystein Husebye (Endokrinologi)
Haukeland universitetssykehus
Gunnar Einvik (Lungemedisin) Akershus universitetssykehus/NTNU
Indremedisineren er et fagtidsskrift rettet mot norske leger som arbeider innen fagomådet indremedisin, med dets ulike retninger. Indremedisineren sendes ut til alle medlemmer av Norsk indremedisinsk forening (Nif), som for tiden er ca 3 400, samt til andre med interesse for faget.
Indremedisineren vil presentere
Forsidebilde
Foto: Mediscan / Alamy Stock Photo.
Stephen Hewitt Redaktør Indremedisineren
Maria Seferowicz Høstmøtetkomitéen
Bjørn Jørgensen Spesialitetskomiteen
Rune Eilertsen Vara
Anita Suntharalingam Vara NYI
Maya Bass
Akuttmottaket, Bærum sykehus, mctbass@hotmail.com
Tone Svilaas OUS Aker tosvil@ous-hf.no
Trine Finnes (Endokrinologi) Sykehuset Innlandet/OUS
Guri Hagberg (Geriatri) OUS Ullevål
Camilla Hem (Geriatri) Diakonhjemmet
relevant faglig og fagpolitisk stoff fra norske miljøer, samt noe internasjonalt rettet stoff av allmen interesse. Vi ønsker å legge til rette for at terskel og takhøyde gir rom for en allment engasjert indremedisiner å ytre seg.
av materiale fra Indremedisineren må skje etter tillatelse fra
meningokokksykdom – en alvorlig sykdom som kan forebygges gjennom vaksinasjon
Utgivelsesplan Bestillingsfrist/ Levering Forfatterfrister Materiellfrist annonsører Posten Nr. 4 1/11 11/11 10/12
Annonsepriser 2024
Bakside 23.500,Omslagsside 20.500,Helside 19.500,1/2 side 13.000,-
Årsavtale
Med fire innrykk oppnås min. 20% rabatt.
Annonseformat
Bredde x Høyde 1/1 side
Bakside 210
Annonsemateriell
x 230 mm + 5 mm
Høyoppløste PDF-filer, der fonter og høyoppløste bilder er inkludert.
Layout, produksjon og annonsesalg Apriil Media AS E-post: ragnar.madsen@apriil.no www.apriil.no





















Disclaimer
• Informasjon, meninger og synspunkter som utgis i Indremedisineren tilhører forfatterne, og ikke nødvendigvis Norsk indremedisinsk forening eller redaksjonen.
• Publisering av artikler, annonser eller annen informasjon, betyr ikke nødvendigvis støtte eller aksept for disse.
• Redaksjonenen og utgiver gjør sitt beste for å sikre at legemiddeldoser og andre kvantiteter presenteres nøyaktig, men vi anbefaler leserne å bruke legemidler i samsvar med Felleskatalogen/Norsk legemiddelhåndbok.
• Indremedisineren og/eller utgiver kan ikke holdes ansvarlig for evt. feil eller konsekvenser som oppstår som følge av bruk av informasjon i tidsskriftet.
• Redaksjonen og utgiver anstrenger seg for ikke å publisere unøyaktige eller misvisende data, men forfatterne må selv ta ansvar for data, uttalelser og meninger som blir utgitt på deres vegne.

Utvalgte indikasjoner1
Revmatoid artritt: Voksne med revmatoid artritt (RA) i kombinasjon med metotreksat hos de som ikke oppnår tilstrekkelig effekt med metotreksat alene.
Autoinflammatoriske periodiske febersyndromer hos voksne, ungdom, barn og spedbarn (≥8 måneder med kroppsvekt ≥10 kg): Cryopyrinassosierte periodiske syndromer (CAPS) inkl. NOMID/CINCA , MWS og FCAS. Familiær middelhavsfeber (FMF), hvis hensiktsmessig i kombinasjon med kolkisin.
Stills sykdom: systemisk juvenil idiopatisk artritt (sJIA) og Stills sykdom i voksen alder (AOSD), med aktive systemiske trekk av moderat til høy sykdomsaktivitet, eller ved fortsatt sykdomsaktivitet etter behandling med NSAID eller glukokortikoider. Kan gis som monoterapi eller i kombinasjon med andre antiinflammatoriske legemidler og DMARD.
Dosering og administrering1
RA: Voksne inkl. eldre: Anbefalt dose er 100 mg 1 gang daglig
CAPS: Voksne inkl. eldre, ungdom og barn ≥8 måneder og ≥10 kg: Anbefalt startdose 1-2 mg/kg dag. FMF og Stills sykdom: Anbefalt dose 100 mg/dag ved kroppsvekt ≥50 kg. Ved kroppsvekt <50 kg justeres dosen etter kroppsvekt, med startdose 1-2 mg/kg/dag. Hos barn med utilstrekkelig respons kan dosen økes opptil 4 mg/kg/dag.
Kineret skal gis subkutant i daglige injeksjoner.
Utvalgte advarsler og forsiktighetsregler1
Skal ikke initieres ved nøytropeni.
Skal ikke initieres ved aktive infeksjoner.
Samtidig behandling med TNF-α-antagonister anbefales ikke pga. økt risiko for alvorlige infeksjoner.
Legemiddelreaksjon med eosinofili og systemiske symptomer . (DRESS) er rapportert i sjeldne tilfeller, hovedsakelig hos SJIA pasienter.
Varenummer: 418642 Styrke: 100mg/0,67 ml
Pakning: 7 x 0,67 ml (ferdigfylt sptøyte)
Pris (AUP): 2685,20 Refusjon: H-resept, R.gr.: C
Rabattert pris- Kineret er med på LIS-anbud 2306b TNFBIO
Swedish Orphan Biovitrum AS Dronning Eufemias gate 16, 0191 Oslo Tlf.: 66 82 34 00 mail.no@sobi.com www.sobi.com/norway
Utvalgte bivirkninger1
Svært vanlige: Reaksjon på injeksjonsstedet
Hodepine
Vanlige: Nøytropeni
Trombocytopeni
Alvorlige infeksjoner
For fullstendig oversikt over bivirkninger og forsiktighetsregler: se godkjent SPC på www.felleskatalogen.no
For mer informasjon om Kineret: scan QR-koden / www.kineret.no

Det er aldri kjedelig å arbeide i helsevesenet. Først og fremst i det daglige arbeidet. Men også hva gjelder organiseringen av helsevesenet. På oppdrag fra Helse- og omsorgsdepartementet (HOD) har mange det siste året arbeidet med å utrede hvilken betydning breddekompetanse skal ha i helsevesenet, både i og utenfor sykehus. I skrivende stund venter vi på begge disse rapportene. Det er grunn til å tro at disse vil kunne danne grunnlag for å stake ut kurs for både spesialistutdanning og for organisering av vakter og dagarbeid i medisinske avdelinger på norske sykehus. Disse diskusjonene er det viktig at landets indremedisinere deltar i. Forhåpentligvis kan noe av diskusjonen skje i de kommende numre av «Indremedisineren».
HOD driver for tiden med å oppfylle «Ventetidsløftet», og mange organisasjoner har spilt inn muligheter for å redusere ventetider i helsevesenet. Ett av disse er at bioingeniører kan avlaste leger med å analysere blodutstryk og/eller urin mikroskopi. I og for seg et godt forslag. Men det reiser en rekke nye diskusjoner. Inntil videre står disse prosedyrene på læringsmålsplanen i alle de indremedisinske spesialitetene (FIM) og blant annet i spesialiteter som barnesykdommer og revmatologi. Dermed vil en slik endret oppgavefordeling medføre at utdanningsnødvendige prosedyrer blir borte fra legene trolig for godt. Et annet spørsmål er imidlertid hvor lenge leger skal gjøre dette manuelt? Er moderne teknologi og KI i ferd med å overta dette? Legene må være med i disse faglige diskusjonene. Og denne uken kom nyheten om at HOD ønsker å utrede en ny helsereform. Denne skal i størst mulig grad redusere skillet mellom primær- og sekundærhelsetjenesten. Dette er en høyst aktuell og etterlengtet diskusjon, og som har blitt enda mer aktualisert av «SOTE-reformen» i Finland. Planene for denne startet i
2005, reformen ble innført i 2023 og var innom 5 ulike regjeringer. Det er laget helt nye helseregioner som skal ha ansvar for både primær- og sekundærhelsetjenesten. Det er ikke utenkelig at dette blir utgangspunktet for den planlagte norske nye helsereformen. Så her er det bare å følge med!
Noe helt annet: Norske yngre indremedisinere (NYI) er et fagutvalg av leger i spesialisering (LIS) i indremedisin og LIS som har felles indremedisinsk del som del av spesialiseringen. Landsstyret vedtok i mai 2017 at den enkelte fagmedisinske forening skulle etablere fagutvalg av leger i spesialisering (LIS), såkalt «Fuxx». Fuxx er en kortform som betyr Fagutvalg av leger i spesialisering i xx forening. I vår forening er dette altså NYI. De har ett fast medlem med personlig vara, i styret i foreningen. NYI arbeider for tiden med en medlemsundersøkelse blant leger i spesialisering. Undersøkelsen tar for seg spesialistutdanningen av leger, og forsøker å måle kvaliteten på denne. Slike undersøkelser har stor betydning. De undersøker sentrale deler av spesialistutdanningen, og vil forhåpentligvis kunne vise frem sykehus og fagmiljøer som arbeider systematisk og godt med spesialistutdanningen. Men slike under søkelser har også betydning ved at de kan bringe frem diskusjoner i de enkelte miljøer. Både om måleindikatorene er gode (og målbare) indikatorer for kvalitet, om man kjenner seg igjen i resultatene og forhåpentligvis kunne bidra til gode diskusjoner både lokalt og nasjonalt, om kvalitet i spesialistutdanningen. Som vanlig blir slike undersøkelser bedre ved god deltakelse og høy svarprosent. Jeg håper derfor at alle LIS vil svare samvittighetsfullt og at spesialistene deler budskapet og oppfordrer LIS i eget fagmiljø til å delta i undersøkelsen.
Når dette leses er alt klart for årets høstmøte. Det finner sted som vanlig torsdag og fredag i uke 42, altså 17. og 18. oktober på Hotel Bristol. Dette er en utmerket arena for oppdatering på store og små deler av indre medisinen, treffe kolleger og dele en god lunsj på Hotel Bristol. Det faglige programmet er over samme lest som tidligere, med innlegg fra et bredt spekter av indremedisinen. Etter programmet på torsdag inviterer vi til sosialt samvær og enkel servering. Hele programmet finner dere i dette nummeret av Indremedisineren.
Jeg håper å kunne treffe mange av dere på årets høstmøte, og med det ønsker jeg alle medlemmer og andre lesere en riktig god høst!
Hilsen
Trond Vartdal Leder, Norsk Indremedisinsk forening

Retningslinjer for antibiotikabehandling i sykehus anbefaler at DIFICLIR (fidaksomicin) vurderes til behandling av Clostridioides difficile-infeksjon (CDI) hos pasienter med høy risiko for residiv
Faktorer som kan øke risiko for residiv er1:
• Immunsvikt
• Tidligere CDI
• Sykehusopphold siste 3 måneder
• Protonpumpehemmer
• Høy alder
Vennligst se retningslinjer for fullstendig behandlingsanbefaling
Elektronisk søknadsløsning for individuell refusjon til legemidler på blåresept
Indikasjoner: For behandling av Clostridioides difficile-infeksjoner (CDI), også kjent som C. difficile-assosiert diaré (CDAD), hos voksne og pediatriske pasienter med en kroppsvekt på minst 12,5 kg. Det skal tas hensyn til offisielle retningslinjer for korrekt bruk av antibakterielle midler. Vanligste bivirkninger: Vanlige: Forstoppelse, kvalme, oppkast. Vanligste alvorlige bivirkninger: Overfølsomhetsreaksjoner inkl. alvorlig angioødem. Interaksjoner: Forsiktighet utvises ved samtidig bruk av potente P-gp-hemmere. Kontraindikasjoner: Overfølsomhet for innholdsstoffene. Forsiktighetsregler: Fidaksomicin bør brukes med forsiktighet ved kjent allergi mot makrolider. Hvis det oppstår en alvorlig allergisk reaksjon, skal legemidlet seponeres og egnede tiltak igangsettes. Bør brukes med forsiktighet ved pseudomembranøs kolitt eller fulminant eller livstruende CDI og ved nedsatt lever- og nyrefunksjon. Graviditet, amming og fertilitet: Graviditet: Det anbefales å unngå bruk under graviditet. Amming: Det må tas en beslutning om amming skal opphøre eller behandling avstås fra, basert på nytte-/risikovurdering. Fertilitet: Dyrestudier indikerer ingen effekt på fertilitet. Dosering: Tabletter: Standard dosering: Voksne og barn ≥12,5 kg: Anbefalt dose er 200 mg (1 tablett) administrert 2 ganger daglig (1 tablett hver 12. time) i 10 dager. Utvidet pulsdosering: Voksne: 200 mg tabletter administreres to ganger daglig for dag 1–5 (ingen tablett på dag 6) og deretter én gang daglig annenhver dag for dag 7–25. Hvis en dose blir glemt, skal den glemte dosen tas så snart som mulig, men hvis det snart er tid for neste dose, skal tabletten hoppes helt over. Administrering: Kan tas med eller uten mat. Svelges hele sammen med et glass vann. Pakninger og priser: 20 stk. (blister) kr 18 099,90. Reseptgruppe C. Basert på SPC godkjent av DMP/EMA: 01.12.2023. PM-DT-NO-00020.
For utfyllende informasjon om dosering, forsiktighetsregler, interaksjoner og bivirkninger – se felleskatalogen no.
Referanse: 1. https://www.helsedirektoratet.no/retningslinjer/antibiotika-i-sykehus/infeksjoner-i-abdomen#clostridioides-difficile-infeksjon. Sist faglig oppdatert 01.03.2022.
Tillotts Pharma AB | Gustavslundsv. 135, 167 51 Bromma, Sverige | Tel: +46 8-704 77 40 | nordicinfo@tillotts.com
Høsten er en fin tid for mange. Det faglige i indremedisinen er også rikholdig med høstmøter og faglig aktivitet. Ikke minst står vi nå foran Indremedisinsk høstmøte, Norsk indremedisinsk forenings årlige samling. Programmet viser spennende og varierte temaer, som favner allment og utover de rent indremedisinske fag. Møtet er et fint treffsted for interesserte og engasjerte indremedisinere. Deltakelse er fortsatt gratis. Vi håper å se mange av dere der. Program og informasjon til påmelding følger.
Også dette nummer av Indremedisineren har fagartikler som illustrerer hvordan et bredt fagområde og et fag i utvikling. Ny kunnskap og nye erkjennelser viser vei fremover i en ny verden.
Først ut er Sara Viksmoen Watle og medforfattere ved Folkehelseinstituttet, som tar for seg invasiv meningokokksykdom og hvordan vage debutsymptomer raskt kan utvikle seg til å bli livstruende hos friske, unge mennesker. Forfatterne påpeker at denne alvorlige sykdommen kan forebygges gjennom vaksinasjon og at vaksinasjon bør inkluderes i det nasjonale barnevaksinasjonsprogrammet.

Vi kjenner hjerneblødning som en alvorlig tilstand. Håkon Ihle-Hansen og medarbeidere går gjennom temaet. Årsaken er spontane eller traumatiske rupturer av intracerebrale kar. Tidsfaktoren er ofte viktig. Forfatterne omtaler spesielt standardiserte pasientforløp og elementer i dette, der gode forløp påvirker prognosen.
Diabetes nevropati er en klassisk diabetisk mikrovaskulær komplikasjon, sammen med retinopati og nefropati. Susanna Valland og Sondre Melding omtaler dette tema. Ofte rammes føttene, og sårutvikling er en viktig problemstilling. Fotamputasjon er alvorlig, og data kan tale for en nedgang i dette. Du kan lese nærmere om diagnostikk, undersøkelser og behandling.
Prognosen for pasienter med myelomatose er bedret. Frida Askeland skriver om oppdatert oppfølging og ulike behandlingsveier. Generelle oppfølgingsprinsipper beskrives, samt høyspesialiserte medikamentalternativer med eller uten autolog stamcellestøtte. Forfatteren viser til nye medikamentelle fremskritt, inklusiv celleterapi som kan utfordre stamcellestøtte, og regimer med
potensial til å begrense kortikosteroidbruken.
Oppmerksomheten øker for tidsforløpet i lungefunksjonsutviklingen og KOLS. Sigrid A. Aalberg Vikjord og medforfattere viser til nedgang i KOLS i befolkningen, som knyttes spesielt til røykeslutt. Utviklingen av lungefunksjon allerede fra fosterlivet og frem til voksen alder står nå også frem som viktige. Kan endringer i proteinsammensetningen forklare noe av dette?
Utvikling av aldersrelaterte sykdommer er et spennende forskningsfelt. Kan vår levetid forlenges av små molekyler? Dette spørsmålet reises her av Nikolai Skaar og medforfattere. Som omtalt i et av våre tidligere nummer, fikk Evandro Fei Fang Nasjonalforeningens forskningspris innen demens for sitt arbeid innen aldersrelaterte demensforandringer. Forfatterne deler her av sin kunnskap om mekanismer som mitokondriell dysfunksjon og autofagi. Kanskje kan denne forståelsen hjelpe oss til å motvirke aldersforandringer?
Vi viser videre til foreningssidene med stoff fra spesialitetsforeningene.



TRANSTYRETIN AMYLOID KARDIOMYOPATI (ATTR-CM) ER EN UNDERDIAGNOSTISERT ÅRSAK TIL HJERTESVIKT1,2
ATTR-CM behandling med fem års overlevelsesdata 3
Etter 30 måneder reduserte Vyndaqel risiko vs. placebo for 4,‡:
Død uansett årsak


Kardiovaskulære sykehusinnleggelser


HR: 0,70 (95 % KI: 0,51-0,96)



Relativ risikoratio: 0,68 (95 % CI 0,56-0,81)
Etter fem år var relativ risikoreduksjon for død uansett årsak 41 % (HR: 0,59 (95% KI: 0,44-0,79))3

www.pfi.sr/behandle
Se Einar Gude sitt foredrag: Hvem skal behandles for ATTR hjerteamyloidose og hvordan?
▼Vyndaqel® (tafamidis) 61 mg er indisert til behandling av villtype eller arvelig transtyretin amyloid kardiomyopati (ATTR-CM). Anbefalt dosering er 1 kapsel 1 gang daglig. Forsiktighet anbefales ved alvorlig nedsatt leverfunksjon. Kan gi interaksjoner ved klinisk relevante konsentrasjoner med BCRP-substrater (f.eks. metotreksat, rosuvastatin, imatinib). Utvalgte bivirkninger: Økte verdier i leverfunksjonsprøver og reduksjon i tyroksin kan forekomme. Pris: Det er fremforhandlet en konfidensiell, kostnadseffektiv pris til norske helseforetak og enkelte private sykehus. Denne er betydelig lavere enn maksimal utsalgspris i apotek, som er kr 195058,40.
Pakning: Myke kapsler, 30 stk. Reseptgruppe: C. Refusjon: H-resept. ICD10: E85
Kriterier for forskrivning på H-resept:
• Oppstart av behandling kan kun gjøres av kardiolog med erfaring i behandling av transtyretin amyloidose (ATTR), ansatt ved universitetssykehus eller annet helseforetak med kardiologisk enhet med kompetanse på behandling for denne pasientgruppen.
• Pasienten må ha en sikkert diagnostisert ATTR kardiomyopati, vanligvis med nukleærmedisinsk påvist amyloid i myokard. Pasienten skal ved oppstart være i NYHAklasse I eller II.
• Pasienten skal ha en forventet gjenstående levetid betydelig over 18 måneder.
• Ved progresjon til vedvarende (minst 6 måneder) NYHA-klasse III, skal beslutning om å fortsette behandlingen tas i samråd med kardiolog med erfaring i behandling av ATTR, ansatt ved universitetssykehus eller annet helseforetak med kardiologisk enhet med kompetanse på behandling for denne pasientgruppen.
• Ved rask progresjon til vedvarende NYHA-klasse III i løpet av 6 måneder etter initiert behandling, bør behandlingen avsluttes.
Før forskrivning, konsulter preparatomtalen på www.legemiddelsok.no
‡Hjertetransplantasjon, kombinert hjerte- og levertransplantasjon og hjertemekanisk hjelpemiddelimplantasjon (CMAD) ble behandlet som likeverdig med død i denne analysen. ATTR-ACT=Tafamidis in Transthyretin Cardiomyopathy Clinical Trial; TTR=Transtyretin; HR=Hazard ratio Referanser: 1. Witteles RM, et al. JACC Heart Fail. 2019;7(8):709-716. 2. Maurer MS, et al. J Am Coll Cardiol. 2016;68(2):161-172. 3. Eliott P, et al. Long-term survival with tafamidis in patients with transthyretin amyloid cardiomyopathy. Circ Heart Fail. 2022;15:4-11. 4. Maurer MS, et al. N Engl J Med. 2018;379(11):1007-1016.
Indremedisinsk forening inviterer enda en gang til Indremedisinsk høstmøte, som finner sted på hotell Bristol 17. og 18. oktober. Vi fikk gode tilbakemeldinger på fjorårets møte med temaet «førstehjelp for medisinske bakvakter og andre vaktgående leger».
Vi ønsker å være en arena der man kan holde seg oppdatert innen de ulike indremedisinske fagene, og vi fortsetter derfor temaet fra i fjor med nye foredrag som er relevant for vaktgående leger ved indremedisinske avdelinger. Vi vil også belyse temaer som tar for seg fremtidens utfordringer innen helseøkonomi og beredskapssituasjoner.
Torsdagen avslutter vi med en uformell samling i de samme lokalene og med enkel servering. Her får vi både kulturelt innslag, oppdateringer fra norsk indremedisinsk forening og intervju med Espen Rostrup Nakstad. Her er det god mulighet til å prate med nye og tidligere kolleger.
Vi ser frem til å møte kolleger fra hele landet!
Hilsen
Høstmøtekomiteen



Praktisk informasjon: Tid: 17.-18. oktober, kl. 9-16/15.30
Sted: Hotell Bristol, Oslo
Det vil bli servert lunsj og pausemat begge dager
Bla om for programmet i sin helhet!
Deltagelse er gratis, men vi ønsker påmelding på nettsiden nedenfor av hensyn til matbestilling.
Se oppdatert informasjon og påmelding på: (QR-kode) webpress.no/events/ norsk-indremedisinskforening/ indremedisinerneshostmote-2024/pamelding/


Tid Aktivitet/Tema Fagområde
08.45–09.00 VELKOMMEN
09.00–09.40
Interstitielle lungesykdommer:
Hva en generell indremedisiner må vite
Michael Durheim, OUS
09.40–10.30
Osteoperosebehandling:
1. Optimalisering av utreding, behandling og oppfølging av osteoporose - Hvem, hva og hvor? (20 min)
Lene Solberg, ortoped, OUS
2. Individuelt tilpasset osteoporosebehandling (20 min)
Susanna Valland, endokrinolog, AHUS
Foredraget er støttet av Amgen
10.30–11.00 PAUSE
11.00–11.30 Indremedisinseren som generalist: Rolle og samarbeid i helsepyramiden
Øystein Evjen Olsen
11.30–12.30 LUNSJ
12.30–13.10
Forhåndssamtaler
Maria Tarranger, Sahlgrenska
13.10–13.50 Let så skal du finne: Screening for AF
Jarle Jortveit, Sykehuset Sørlandet
13.50–14.05 PAUSE
14.05–14.45 Beredskap i Norge anno 2024
CBRN-senteret
14.45–15.30 Hyponatremi
Renathe Rinsmo, UNN
16.00– MINGLING MED LITT GODT I GLASSET!

Lungemedisin
Endo/revma/orto
Samfunnsmed
Hematologi/geriatri
Kardiologi

Akuttmedisin
Nefrologi

Fredag 18. oktober
08.30–09.30 Workshop 1: Praktisk bruk av ECG247
Tid Aktivitet/Tema
Workshop 2: Ekkokardiografi ved atrieflimmer
Jarle Jortveit og Daniela Melichova
09.00–09.30 ÅRSMØTE INDREMEDISINSK FORENING
08.30–09.30 Workshop 1: Praktisk bruk av ECG247 Workshop 2: Ekkokardiografi ved atrieflimmer
Jarle Jortveit og Daniela Melichova
09.30–10.10 Bioteknologi i nær fremtid


Tid Aktivitet/Tema Fagområde
Kardiologi
Fagområde
Kardiologi

Eirik Tranvåg, lege bioteknologinemda
09.00–09.30 ÅRSMØTE INDREMEDISINSK FORENING
09.30–10.10
10.10–10.40 Vexas Syndrom
Bioteknologi i nær fremtid
Revmatologi
Ø. Midtvedt, OUS
Eirik Tranvåg, lege bioteknologinemda
10.40–11.00 PAUSE
10.10–10.40 Vexas Syndrom Ø. Midtvedt, OUS
11.00–11.30 Infeksjoner hos pas som injiserer rusmidler
10.40–11.00 PAUSE
Olav Dalgard, AHUS
11.30–12.30 LUNSJ
11.00–11.30 Infeksjoner hos pas som injiserer rusmidler Olav Dalgard, AHUS
Revmatologi
Infeksjon
Infeksjon
Psykiatri/indremed
11.30–12.30 LUNSJ
12.30–14.00 Emosjonelt ustabile pasienter Øyvind Urnes med pasient
14.00–14.20 PAUSE
12.30–14.00
14.20–15.00
Emosjonelt ustabile pasienter Øyvind Urnes med pasient
Hemodynamisk overvåkning for indremed
14.00–14.20 PAUSE
15.00–15.40
14.20–15.00
Eirik Qvigstad, OUS
Akutte GI-blødninger
Psykiatri/indremed
Kardiologi/ intensiv med
Anders Egeland, Bærum
Hemodynamisk overvåkning for indremed Eirik Qvigstad, OUS
15.00–15.40 Akutte GI-blødninger
Anders Egeland, Bærum
Gastromedisin
Kardiologi/ intensiv med
Gastromedisin
Nytt av året: Mingling, torsdag 17. oktober fra kl. 16.00
Det ønskes velkommen til en uformell sammenkomst over et glass med noe godt i og litt fingermat. Vi skal blant annet få høre litt mer om det som skjer i NIF, Norges nest største fagmedisinske forening.
Nytt av året: Mingling, torsdag 17. oktober fra kl. 16.00
• Nytt fra NIF: Indremedisinernes status, utfordringer og fremtid?
• Kulturelt innslag
Det ønskes velkommen til en uformell sammenkomst over et glass med noe godt i og litt fingermat. Vi skal blant annet få høre litt mer om det som skjer i NIF, Norges nest største fagmedisinske forening.
Vi håper alle deltakere og utstillere setter av en drøy time til hyggelig lag.
Vi håper alle deltakere og utstillere setter av en drøy time til hyggelig lag.

• Nytt fra NIF: Indremedisinernes status, utfordringer og fremtid?
• Utdeling av priser til indremedisinere som har fortjent det!
• Kulturelt innslag
• Andre overraskelser
• Utdeling av priser til indremedisinere som har fortjent det!
• Andre overraskelser


1-2: Lilly
3: Ledig
4: Astra Zeneca
5: Bayer
6: Tillot Pharma
7: Pharmacosmos
8: Amgen
9: Bristol Myers Squibb
10: Boehringer Ingelheim
11: Ledig
12: Unimedic Pharma
13: Diffia
Skisse av utstillingsareal på Indremedisinsk Høstmøte 2024
= Ledig
= Opptatt
14: Den Norske Legeforening
15: Viatris
16: Novartis
17: Asamedic
18-19: Novo Nordisk
20-22: Pfizer































Hold deg oppdatert på siste nytt fra Bayer
Ønsker du å motta e-post med invitasjoner til webinarer og faglige møter, eller få annen nyttig helseinformasjon til bruk i din praksis?
Meld din interesse her

Sikkerhetsinformasjon5:

• Som med andre antitrombotiske midler må Xarelto brukes med forsiktighet hos de med økt blødningsrisiko
• Vær oppmerksom på pasienter med nedsatt nyrefunksjon
• Skal ikke brukes ved kreatininclearance <15 ml/min
• Xarelto er ikke anbefalt hos de med kunstige hjerteklaffer
• Vanligste rapporterte bivirkninger på Xarelto er blødningskomplikasjoner
• Bruk anbefales ikke hos pasienter med tidligere trombose diagnostisert med antifosfolipidsyndrom, særlig pasienter som er trippel-positive (for lupus antikoagulant, antikardiolipin antistoffer, og anti-beta 2-glykoprotein I antistoffer), da behandling kan være assosiert med økt forekomst av tilbakevendende trombotiske hendelser. Samtidig behandling med alle andre antikoagulanter er kontraindisert, unntatt ved bytte av antikoagulasjonsbehandling eller når ufraksjonert heparin administreres for å holde sentralt vene- eller arteriekateter åpent
• Se felleskatalogteksten før forskrivning av Xarelto, merk spesielt kontraindikasjoner, forsiktighetsregler, interaksjoner og bivirkninger
a. Pasienter med diabetes som fikk Xarelto i fase III studien ROCKET AF, n=5 695. ARR=0,9 %, RRR=20 %, HR: 0,80; 95 % Cl: 0,64–0,99.
Referanser: 1. Patel MR, Mahhfey KW, Garg J et al. Rivaroxaban versus warfarin in nonvalvular atrial fibrillation. N Engl J Med 2011;365(10):883–91. 2. Bansilal S, Bloomgarden Z, Halperin JL et al. Efficacy and safety of rivaroxaban in patients with diabetes and nonvalvular atrial fibrillation: the Rivaroxaban Once-daily, Oral, Direct Factor Xa Inhibition Compared with Vitamin K Antagonism for Prevention of Stroke and Embolism Trial in Atrial Fibrillation (ROCKET AF Trial). Am Heart J 2015;170:675–682.e8. 3. Kirchhof P, Radaideh G, Kim YH et al. Global prospective safety analysis of rivaroxaban. J Am Coll Cardiol 2018;72:141–153. 4. Coleman CI, Costa OS, Brescia CW et al. Thromboembolism, bleeding and vascular death in nonvalvular atrial fibrillation patients with type 2 diabetes receiving rivaroxaban or warfarin. Cardiovasc Diabetol 2021;20:52. 5. Xarelto (rivaroksaban) preparatomtale, 06/2024.
Xarelto (Rivaroksaban), antitrombotisk middel, ATC-nr B01 AF01. Tabletter 15 mg og 20 mg. Indikasjon: Forebygging av slag og systemisk emboli hos voksne med ikkeklaffeassosiert atrieflimmer med én eller flere risikofaktorer, slik som kongestiv hjertesvikt, hypertensjon, alder ≥ 75 år, diabetes mellitus, tidligere slag eller forbigående iskemisk anfall. Dosering: Anbefalt dose er 20 mg 1 gang daglig. Behandling bør pågå over lengre tid forutsatt at fordeler ved forebygging av slag og systemisk emboli er større enn blødningsrisiko. Glemt dose: Skal tas umiddelbart, og neste dag fortsetter man med 1 daglig dose. Dobbel dose skal ikke tas i løpet av én og samme dag som erstatning for glemt dose. For pasienter med moderat/alvorlig nedsatt nyrefunksjon (CrCl15–49 ml/min) er anbefalt dose 15 mg 1 gang daglig. 15 og 20 mg tabletter skal tas sammen med mat. Behandling med rivaroksaban kan inititeres eller fortsettes ved behov for konvertering. For alle pasienter bør det før konvertering innhentes en bekreftelse på at rivaroksaban er tatt i henhold til forskrivning. Beslutning om initiering og varighet av behandling skal ta hensyn til gjeldende retningslinjer for antikoagulasjonsbehandling. Pasienter med ikke-valvulær atrieflimmer som gjennomgår PCI med innsetting av stent: Data vedrørende sikkerhet er tilgjengelig. Begrenset erfaring med redusert dose på 15 mg 1 gang daglig (eller 10 mg 1 gang daglig ved moderat nedsatt nyrefunksjon, CrCl30–49 ml/min) i tillegg til P2Y12-hemmer i ≤ 12 måneder. Bivirkninger: Kan forbindes med økt risiko for skjult eller synlig blødning fra vev/organer, noe som kan føre til posthemoragisk anemi. Symptomer og alvorlighetsgrad (inkl. dødelig utgang) varierer ut fra lokalisering, grad eller omfang av blødningen og/eller anemien. Blødningsrisiko kan være økt hos visse pasientgrupper, f.eks. ved ukontrollert alvorlig arteriell hypertensjon og/ eller ved samtidig behandling med andre legemidler som påvirker hemostasen. Menstruasjonsblødninger kan øke og/eller bli forlenget. Blødningskomplikasjoner kan manifesteres som svakhet, blekhet, svimmelhet, hodepine eller uforklarlig hevelse, dyspné og uforklarlig sjokk. Symptomer på hjerteiskemi som brystsmerter eller angina pectoris kan oppstå som en konsekvens av anemi. Komplikasjoner sekundært til alvorlig blødning, som kompartmentsyndrom og nyresvikt pga. hypoperfusjon, kan oppstå. Det må derfor tas hensyn til muligheten for blødning ved evaluering av tilstanden til enhver antikoagulert pasient. Vanlige (≥ 1/100 til < 1/10): Blod/lymfe: Anemi (inkl. respektive laboratorieparametre). Gastrointestinale: Diaré, dyspepsi, forstoppelse1, gastrointestinal blødning (inkl. rektalblødning), gastrointestinale/abdominale smerter, gingival blødning, kvalme, oppkast1. Generelle: Feber1, nedsatt generell styrke og energi (inkl. fatigue, asteni), perifert ødem. Hud: Ekkymose, kutan/subkutan blødning, pruritus (inkl. mindre vanlige tilfeller av generalisert pruritus), utslett. Kar: Hematom, hypotensjon. Lever/galle: Transaminasestigning. Luftveier: Epistakse, hemoptyse. Muskel-skjelettsystemet: Smerte i



Lavere forekomst av kardiovaskulær død, slag og systemisk emboli med lav blødningsrisiko, som vist i randomiserte kontrollerte studier og resultater i klinisk hverdag.1-4a
Refusjon: 15 og 20 mg: Refusjonsberettiget bruk: Forebygging av slag og systemisk emboli hos voksne pasienter med ikkeklaffeassosiert atrieflimmer med en eller flere risikofaktorer, slik som kongestiv hjertesvikt, hypertensjon, alder f.o.m. 75 år, diabetes mellitus, tidligere slag eller forbigående iskemisk anfall.
Refusjonskode: ICPC: K78 atrieflimmer/ flutter; ICD: I48 atrieflimmer og atrieflutter. Vilkår: Ingen spesifisert.
ekstremitet1. Nevrologiske: Hodepine, svimmelhet. Nyre/urinveier: Blødninger i urogenitaltractus (inkl. hematuri og menoragi)2, nedsatt nyrefunksjon (inkl. økt kreatinin i blod, økt karbamid i blod). Skader/komplikasjoner: Blødning etter inngrep (inkl. postoperativ anemi og sårblødning), kontusjon, sårsekresjon1. Øye: Øyeblødning (inkl. konjunktivalblødning). Mindre vanlige (≥ 1/1000 til < 1/100): Blod/lymfe: Trombocytopeni, trombocytose (inkl. økt blodplatetall) 1. Gastrointestinale: Munntørrhet. Generelle: Malaise. Hjerte: Takykardi. Hud: Urticaria. Immunsystemet: Allergisk dermatitt, allergisk reaksjon, allergisk ødem, angioødem. Lever/galle: Nedsatt leverfunksjon, økt alkalisk fosfatase1, økt bilirubin, økt γ-GT1. Muskel-skjelettsystemet: Hemartrose. Nevrologiske: Cerebral og intrakraniell blødning, synkope. Undersøkelser: Amylaseøkning1, lipaseøkning, økt laktatdehydrogenase1 Sjeldne (≥ 1/10 000 til < 1/1000): Generelle: Lokalt ødem1. Lever/galle: Gulsott, hepatitt (inkl. hepatocellulær skade), kolestase, økt konjugert bilirubin (med eller uten samtidig økt ALAT). Muskel-skjelettsystemet: Muskelblødning. Skader/komplikasjoner: Vaskulær pseudoaneurisme (sett med frekvens mindre vanlig ved forebygging av aterotrombotiske hendelser etter perkutan koronarintervensjon). Svært sjeldne (< 1/10 000): Hud: DRESS, Stevens-Johnsons syndrom/toksisk epidermal nekrolyse. Immunsystemet: Anafylaktisk reaksjon (inkl. anafylaktisk sjokk). Luftveier: Eosinofil pneumoni. Ukjent frekvens: Muskelskjelettsystemet: Kompartmentsyndrom sekundært til blødning.Nyre/urinveier: Antikoagulantrelatert nefropati. Nyresvikt/akutt nyresvikt sekundært til blødning som er tilstrekkelig til å forårsake hypoperfusjon. For beskrivelse av enkelte bivirkninger, se Forsiktighetsregler og SPC. 1. Sett ved forebygging av VTE hos voksne som gjennomgår elektiv hofte eller kneprotesekirurgi. 2. Menoragi er svært vanlig ved behandling av DVT, LE og forebygging av tilbakefall hos kvinner < 55 år. Forsiktighetsregler: Pasienter med kunstige klaffer: Skal ikke brukes som tromboseprofylakse ved nylig utført kateterbasert implantasjon av aortaklaffer (TAVR). Bruk anbefales ikke til pasienter med kunstige hjerteklaffer pga. manglende data. Brukes med forsiktighet ved alvorlig nedsatt nyrefunksjon, pga. økt blødningsrisiko. Bruk ved CrCl<15 ml/min anbefales ikke. Blødningsrisiko: Pasienten skal observeres nøye for tegn på blødning. Brukes med forsiktighet ved økt blødningsrisiko. Administrering skal avbrytes ved alvorlig blødning. Ved blødning kan doseutsettelse eller seponering vurderes. Behandling tilpasses individuelt ut fra alvorlighetsgrad og lokalisering av blødning. Egnet symptomatisk behandling kan brukes ved behov, f.eks. mekanisk kompresjon (f.eks. ved alvorlig epistaksis), kirurgiske prosedyrer for blødningskontroll, væskebehandling og hemodynamisk støtte, blodprodukter (pakkede røde blodceller eller ferskfrosset plasma, avhengig av anemi eller koagulopati) eller blodplater.
Dersom blødningen ikke kan kontrolleres bør administrering av enten et spesifikt reverseringsmiddel for FXa-hemmere (andeksanet alfa), eller en reverserende prokoagulant f.eks. protrombinkomplekskonsentrat (PCC), aktivert protrombinkomplekskonsentrat (APCC) eller rekombinant faktor VIIa (r-FVIIa), vurderes. Interaksjoner: Samtidig behandling med sterke hemmere av CYP3A4 eller P-gp anbefales ikke. Kontraindikasjoner: Overfølsomhet for innholdsstoffene. Aktiv klinisk signifikant blødning. Samtidig bruk av sterke CYP3A4induktorer kan gi redusert plasmakonsentrasjon av rivaroksaban, og samtidig bruk bør derfor unngås med mindre pasienten overvåkes nøye for symptomer på trombose. Samtidig administrering med dronedaron bør unngås pga. begrensede data.Forsiktighet skal utvises ved samtidig behandling med andre antikoagulanter, pga. økt blødningsrisiko (se også Kontraindikasjoner). Forsiktighet skal utvises ved samtidig bruk av legemidler som påvirker hemostasen; NSAID, ASA, platehemmere eller SSRI og SNRI. Lesjoner/tilstander, dersom dette anses å være en betydelig risiko for alvorlig blødning. Samtidig behandling med alle andre antikoagulanter, unntatt ved bytte av antikoagulasjonsbehandling eller når ufraksjonert heparin administreres for å holde sentralt vene- eller arteriekateter åpent. Leversykdom assosiert med koagulopati og klinisk relevant blødningsrisiko, inkl. cirrhosepasienter med Child-Pugh B og C. Graviditet og amming. Pakninger og priser: 15 mg: 28 stk. (blister) kr 733,80. 98 stk. (blister) kr 2477,70. 100 × 1 stk. (endose) kr 2527,50. 20 mg: 28 stk. (blister) kr 733,80. 98 stk. (blister) kr 2477,70. 100 × 1 stk. (endose) kr 2527,50. Refusjon: 15 og 20 mg: Refusjonsberettiget bruk: Forebygging av slag og systemisk emboli hos voksne pasienter med ikke-klaffeassosiert atrieflimmer med en eller flere risikofaktorer, slik som kongestiv hjertesvikt, hypertensjon, alder f.o.m 75 år, diabetes mellitus, tidligere slag eller forbigående iskemisk anfall. Refusjonskode: ICPC: K78, K93, K94; ICD: I26, I48, I80, I82. Vilkår: Ingen spesifisert. Basert på Xarelto SPC godkjent av SLV/EMA 06/2024. Bayer AS, Postboks 193, 1325 Lysaker. Tlf: 23 13 05 00. Reseptgruppe C. For ytterligere informasjon se www.felleskatalogen.no.
MA-XAR-NO-0106-7, AUG 2024
PP-XAR-NO-1068-1, AUG 2024
Invasiv meningokokksykdom rammer i utgangspunktet ellers friske personer, og kan ha et særdeles raskt og alvorlig forløp. Tidlig behandling er livreddende. Vaksinasjon er det beste forebyggende tiltaket vi har, og personer med økt risiko for sykdommen bør tilbys vaksine.
Sara Viksmoen Watle, overlege; Lisbeth Meyer Næss, seniorforsker; Karine Nordstrand, overlege. Avdeling for smittevern og vaksine, Folkehelseinstituttet.



Meningokokker er en del av normalfloraen
Meningokokksykdom skyldes meningokokkbakterien (Neisseria meningitidis). Bakterien deles inn i serogrupper på bakgrunn av egenskaper ved kapselpolysakkaridet som omgir de fleste sykdomsfremkallende meningokokkene. Serogruppe A, B, C, W, X og Y står for majoriteten av tilfellene verden over.
Meningokokker fins bare hos mennesker og er en del av normalfloraen på slimhinnene i halsen. Bærerskapsfrekvensen er høyest blant ungdom og unge voksne. De fleste bærere er asymptomatiske og kun noen få utvikler sykdom. Meningokokker smitter ved dråpesmitte, og krever vanligvis tett kontakt. Utveksling av spytt som ved deling av flasker og glass, samt kyssing og annen intim kontakt kan være viktige smitteveier.
En sjelden, men alvorlig sykdom Invasiv meningokokksykdom kalles på folkemunne for ‘smittsom hjernehinnebetennelse’ og forekommer vanligvis som meningitt, sepsis eller en kombinasjon av disse. På tross av behandling på sykehus med antibiotika og organstøttende behandling dør 5-10 prosent av pasientene (1). Av de overlevende får opptil 30 prosent senskader som tap av hørsel og syn, epilepsi, konsentrasjons-/lærevansker, tretthet eller psykiske plager (2). Sirkulasjonssvikt ved sepsis kan blant annet medføre arrdannelser i hud, nyresvikt og behov for amputasjon av deler av ekstremitetene (2).
Mer sjeldne og mindre alvorlige former for meningokokksykdom inkluderer pneumoni, artritt, uretritt og konjunktivitt.
Sykdommen ses i alle aldersgrupper, men i Norge er det høyest forekomst blant ungdom. Selv om de fleste som får meningokokksykdom er tidligere friske, er risikoen for meningokokksykdom høyere blant personer med medfødte eller ervervede komplementdefekter, manglende miltfunksjon eller hivinfeksjon (3). De aller fleste tilfeller av meningokokksykdom er enkelttilfeller. Det siste tiåret har utbrudd vært rapportert i utlandet blant universitets studenter, i forbindelse med store ungdomssamlinger, og blant menn som har sex med menn (4).
Det er stor geografisk variasjon i forekomst av meningokokksykdom globalt. Den høyeste forekomsten har tradisjonelt vært i landene sør for Sahara i Afrika, fra Senegal i vest til Etiopia i øst (det såkalte meningittbeltet), med 10 - 1 000 tilfeller per 100 000 innbyggere under pågående epidemier. Meningokokksykdom er mer sjeldent i vestlige land. I Europa har den årlige insidensen variert fra 0,1 til 1,8 per 100 000 innbyggere de siste årene, som tilsvarer i overkant av 3 000 tilfeller årlig (5). De senere årene har serogruppe B vært dominerende i Europa.
Etter en stor serogruppe B epidemi i Norge på 1970-1980-tallet, har
antallet tilfeller av meningokokksykdom gradvis gått ned. I Norge ble det i 2014-2023 rapportert 16-26 tilfeller årlig (insidens 0,1-0,5 per 100 000 innbyggere) til Meldingssystem for smittsomme sykdommer (MSIS) (6). En høy andel av tilfellene forekommer blant barn og ungdom (Figur 1), og flere av tilfellene har vært knyttet til russefeiring. Alle de fem serogruppene har gitt sykdom i Norge de siste årene (Figur 2), men blant barn under 10 år har serogruppe B dominert og blant eldre barn og ungdom serogruppe Y.
Vage debutsymptomer og raskt forløp De første symptomene på meningokokksykdom er ofte uspesifikke som feber, nedsatt allmenntilstand, hodepine og muskelverk. Lysskyhet, nakkestivhet og nedsatt bevissthet er typiske tegn på meningitt (7). Hypovolemi, hypotermi og takypne kan være tegn på sepsis. Petekkier og ekkymoser forekommer hos en høy andel av pasientene, men kan oppstå sent i forløpet (Figur 3). Små barn har ofte mer vage symptomer som irritabilitet, dårlig matlyst og nedsatt kontakt. I de senere år har flere pasienter vært rapportert å debutere med atypiske symptomer i form av kvalme, oppkast og diaré (8). Meningokokksepsis og meningitt kan forløpe svært raskt med få timer mellom symptomdebut og utvikling av livstruende sykdom (7).
Meningokokksykdom kan forebygges med vaksinasjon De aller fleste tilfeller av meningokokksykdom i Norge de seneste årene kan forebygges med vaksiner. To ulike typer vaksiner er godkjent for bruk i Europa:
• Konjugert polysakkarid kombinasjonsvaksine mot serogruppe A, C, W og Y (Menveo (9), Nimenrix (10) eller MenQuadfi (11))
• Proteinbasert vaksine mot serogruppe B (Bexsero (12) eller Trumenba (13))
Vaksinene induserer baktericide antistoffer som via aktivering av komplementsystemet kan drepe meningokokker. Begge vaksinetypene induserer immunologisk hukommelse og beskyttelsen varer i 5-10 år avhengig av preparat. Konjugatvaksinene basert på kapselpolysakkarid beskytter mot alle stammer av serogruppene inkludert i vaksinen, og reduserer i tillegg bærerskap av meningokokker som kan indusere flokkimmunitet. Proteinvaksinene virker mot et utvalg av overflateproteiner fra serogruppe B meningokokker. De beskytter derfor ikke mot alle serogruppe B stammer, men en stor andel. I tillegg gir proteinvaksinene kryssbeskyttelse mot andre serogrupper av meningokokker, bl.a. serogruppe W (14). Nyere studier har også vist at Bexsero vaksinen gir en viss beskyttelse mot gonoré (15). Vaksinen er foreløpig ikke godkjent for forebygging av gonokokk-infeksjon.
De vanligste bivirkningene etter meningokokkvaksiner er lokalreaksjoner på stikkstedet, tretthet, kvalme, hodepine, feber, utslett og muskel- og leddsmerter. Meningokokk B-vaksine kan gi mer kraftige reaksjoner på stikkstedet sammenliknet med andre vaksiner. Hos småbarn er feber og nedsatt allmenntilstand vanlig ved bruk av Bexsero. Eventuelle bivirkninger pleier å komme i løpet av 1-2 døgn etter vaksinasjon, og går som regel over av seg selv i løpet av kort tid.
I USA er også kombinasjonsvaksine (Penbraya) som beskytter mot serogruppe ACWY+B godkjent for bruk i aldersgruppen 10-25 år (16). Liknende vaksiner kan bli tilgjengelige i Norge om få år.
fra MSIS.
(år)
C W Y Annet

Tabell 1. Folkehelseinstituttets anbefalinger for bruk av meningokokkvaksiner i Norge. Risikogruppe Kommentar
Personer med manglende miltfunksjon
Medisinske risikogrupper
Medfødt eller ervervet komplementdefekt (C3 mangel, defekt i sene komplementkomponenter (C5-C9), properdin, faktor D og faktor H, inkludert pasienter som benytter biologiske legemidler som hemmer komplementsystemet (feks. eculizumab))
Hiv-positive personer (individuell vurdering)
Risikoen for smitte øker når mange mennesker er tett samlet. Dette gjelder særlig i kombinasjon med festing, deling av flasker eller intim kontakt. Eksempler på slike arenaer kan være russefeiring, festivaler, idrettssamlinger, ungdomsleir o.l. Følgende grupper anbefales vaksine etter individuell vurdering av risiko beskrevet over:
Aktuell vaksinetype (refusjonsordning)
Begge vaksinetyper anbefales (Blåresept §4)
Begge vaksinetyper anbefales (betales av den enkelte)
Grupper med økt risiko for meningokokksmitte
Utenlandsreiser
Yrkesrisiko
Enkelttilfelle eller utbrudd av meningokokksykdom
• Ungdom i alderen 16-19 år
• Menn som har sex med menn som deltar aktivt på arenaer for tilfeldig sex og har intim kontakt med mange partnere
Vaksinasjon kan også være aktuelt for andre personer som deltar i tilsvarende aktiviteter.
Rådet gjelder i inn- og utland.
Reisende til meningittbeltet i Afrika
Pilegrimer til Saudi-Arabia (Hajj, Umrah)
Studenter og skoleelever som skal ha hele eller deler av studiene i land med krav eller sterk anbefaling om vaksinasjon.
Laboratoriepersonell som har risiko for betydelig eksponering for levende meningokokker (laboratoriepersonell)
Pasient med gjennomgått invasiv meningokokksykdom Nærkontakter til pasient med invasiv meningokokksykdom
Begge vaksinetyper kan være aktuelle (betales av den enkelte)
ACWY konjugatvaksine (betales av den enkelte)
Begge vaksinetyper kan være aktuelle (betales av den enkelte)
Begge vaksinetyper anbefales (betales av arbeidsgiver)
Vaksinetype styres av hvilken serogruppe som er påvist hos pasienten (Blåresept §4)
vaksinert
Agder Akershus Buskerud Finnmark Innlandet Møre og Romsdal Nordland
Oslo
Rogaland Telemark Troms Trøndelag Vestfold Vestland Østfold Nasjonalt
Figur 4. Vaksinasjonsdekning for én dose ACWY-vaksine blant 18-19-åringer i Norge, 2011-2024. Data fra Nasjonalt vaksinasjonsregister SYSVAK.
Figur 4. Vaksinasjonsdekning for én dose ACWY-vaksine blant 18-19-åringer i Norge, 20112024. Data fra Nasjonalt vaksinasjonsregister SYSVAK.
Forekomsten av meningokokksykdom har gradvis gått ned blant ungdom parallelt med økende oppslutning om vaksinasjon med ACWY-vaksine.
Vaksinasjon anbefales til risikogrupper I motsetning til mange andre land i Europa er ikke meningokokkvaksiner inkludert i det norske barnevaksinasjonsprogrammet. I Norge anbefales meningokokkvaksiner til noen grupper med økt risiko for meningokokksykdom (Tabell 1) (17).
Meningokokkvaksiner er gratis for noen medisinske risikogrupper og til pasienter med meningokokksykdom og dens nærkontakter. For øvrig må både vaksine og vaksinasjon betales av den enkelte selv eller arbeidsgiver (på lik linje med andre vaksiner som ikke tilbys i barnevaksinasjonsprogrammet). Noen kommuner og fylker har valgt å tilby gratis vaksinasjon med ACWY-vaksine til ungdom. ACWY-vaksinen koster i underkant av 400 kr per dose (de fleste trenger én dose, mens medisinske risikogrupper
Referanser
1. Wang B, Santoreneos R, Giles L, et al. Case fatality rates of invasive meningococcal disease by serogroup and age: A systematic review and metaanalysis. Vaccine. 2019;37(21):2768-82. Tilgjengelig fra: https://doi.org/10.1016/j.vaccine.2019.04.020.
2. Olbrich KJ, Muller D, Schumacher S, et al. Systematic review of invasive meningococcal disease: Sequelae and quality of life impact on patients and their caregivers. Infectious diseases and therapy. 2018;7(4):42138. Tilgjengelig fra: https://doi.org/10.1007/s40121018-0213-2.
3. Dubey H, Oster P, Fazeli MS, et al. Risk factors for contracting invasive meningococcal disease and related mortality: A systematic literature review and meta-analysis. Int J Infect Dis. 2022;119:1-9. Tilgjengelig fra: https://doi.org/10.1016/j.ijid.2022.03.032.
4. van Kessel F, van den Ende C, Oordt-Speets AM, et al. Outbreaks of meningococcal meningitis in nonAfrican countries over the last 50 years: a systematic review. J Glob Health. 2019;9(1):010411. Tilgjengelig fra: https://doi.org/10.7189/jogh.09.010411.
5. European Centre for Disease Prevention and Control. Invasive meningococcal disease. In: ECDC. Annual epidemiological report for 2022. Stockholm: ECDC; 2024. Tilgjengelig fra: https://www.ecdc.europa.eu/ sites/default/files/documents/invasive-meningococcal-disease-annual-epidmeiological-report-2022.pdf.
6. Folkehelseinstituttet. Meningokokksykdom - veileder for helsepersonell. Tilgjengelig fra: https://www. fhi.no/sm/smittevernhandboka/sykdommer-a-a/
anbefales to), mens B-vaksinen koster i underkant av 1000 kr per dose (behov for to, eventuelt tre doser).
Meningokokkvaksine vurderes innført i barnevaksinasjonsprogrammet Ungdom har vært anbefalt meningokokkvaksinasjon siden 2011. Basert på serogruppefordelingen blant ungdom senere år gir ACWYvaksinen mest relevant beskyttelse hos denne gruppen. Derfor er det denne vaksinen som først og fremst anbefales til ungdom, men begge vaksinetypene er nødvendig for full beskyttelse. Forekomsten av meningokokksykdom har gradvis gått ned blant ungdom parallelt med økende oppslutning om vaksinasjon med ACWY-vaksine. Tall fra Nasjonalt vaksinasjonsregister SYSVAK fra april 2024 viser at 60 prosent av
meningokokksykdom/?term=.
7. Brandtzaeg P, van Deuren M. Classification and pathogenesis of meningococcal infections. In: Walker J, editor. Methods Mol Biol. Clifton, USA: Humana Press; 2012. p. 21-35.
8. Campbell H, Parikh SR, Borrow R, et al. Presentation with gastrointestinal symptoms and high case fatality associated with group W meningococcal disease (MenW) in teenagers, England, July 2015 to January 2016. Euro Surveill. 2016;21(12). Tilgjengelig fra: https://doi.org/10.2807/1560-7917.Es.2016.21.12.30175.
9. European Medicines Agency. Summary of product characteristics - Menveo. Tilgjengelig fra: https:// www.ema.europa.eu/en/documents/product-information/menveo-epar-product-information_en.pdf.
10. European Medicines Agency. Summary of product characteristics - Nimenrix. Tilgjengelig fra: https:// www.ema.europa.eu/en/documents/product-information/nimenrix-epar-product-information_en.pdf.
11. European Medicines Agency. Summary of product characteristics - MenQuadfi. Tilgjengelig fra: https:// www.ema.europa.eu/en/documents/product-information/menquadfi-epar-product-information_en.pdf.
12. European Medicines Agency. Summary of product characteristics – Bexsero. Tilgjengelig fra: https:// ec.europa.eu/health/documents/community-register/2013/20130114125155/anx_125155_en.pdf.
13. European Medicines Agency. Summary of product characteristics – Trumenba. Tilgjengelig fra: https:// www.ema.europa.eu/en/documents/product-information/trumenba-epar-product-information_en.pdf.
18-19-åringer i Norge er vaksinert med én dose ACWY-vaksine. Den geografiske forskjellen i oppslutning er dog stor (Figur 4) og skyldes delvis at tilbudet varierer avhengig av hvor i landet du bor, og at vaksinen ikke er gratis for alle (18).
Folkehelseinstituttet leverte en rapport til Helse- og omsorgsdepartementet i juni 2023 som konkluderte med at innføring av én dose meningokokk ACWY-vaksine til ungdom i barnevaksinasjonsprogrammet gir individuell og samfunnsmessig nytte, er kostnadseffektivt og kostnadsbesparende for helsetjenesten, og vil redusere sosiale ulikheter i helse (19). Hvorvidt regjeringen vil innføre ACWY-vaksine i barnevaksinasjonsprogrammet er en politisk beslutning og et budsjettspørsmål som fortsatt venter på en avklaring.
14. Ladhani SN, Campbell H, Andrews N, et al. First Realworld Evidence of Meningococcal Group B Vaccine, 4CMenB, Protection Against Meningococcal Group W Disease: Prospective Enhanced National Surveillance, England. Clin Infect Dis. 2021;73(7):e1661-e8. Tilgjengelig fra: https://doi.org/10.1093/cid/ciaa1244.
15. Ruiz García Y, Sohn W-Y, Seib KL, et al. Looking beyond meningococcal B with the 4CMenB vaccine: the Neisseria effect. NPJ Vaccines. 2021;6(1):130. Tilgjengelig fra: https://doi.org/10.1038/s41541-02100388-3.
16. Food and drug administration. Approval LetterPenbraya 2023. Tilgjengelig fra: https://www.fda.gov/ media/173225/download?attachment.
17. Folkehelseinstituttet. Meningokokkvaksine – håndbok for helsepersonell. Tilgjengelig fra: https://www.fhi. no/va/vaksinasjonshandboka/vaksiner-mot-de-enkelte-sykdommene/meningokokkvaksinasjon/?term=.
18. Landsforeningen for hjerte- og lungesyke. 225 kommuner tilbyr ikke gratis vaksiner av ungdom mot hjernehinnebetennelse. 2023. Tilgjengelig fra: https:// www.lhl.no/kampanje/vaksinering-av-ungdom-motsmittsom-hjernehinnebetennelse/.
19. Folkehelseinstituttet. Watle SV, Næss LM, Juvet LK, Wisløff T, Tveteraas IH, et al. Metodevurdering - Meningokokkvaksine til ungdom i nasjonalt vaksinasjonsprogram. 2023. Tilgjengelig fra: https://www.fhi. no/contentassets/26ecf2297db145a4b748574128ac ad59/metodevurdering-meningokokk-acwy-vaksinetil-ungdom-nv_06_2019.pdf.






Ved akutt hjerneinfarkt anbefales raskest mulig diagnostikk og vurdering av akuttbehandling med trombolyse og/eller trombektomi for å begrense hjerneskade. Nyere kunnskap viser at «tid er hjerne» også ved hjerneblødning. Rask og vedvarende blodtrykkskontroll, rask reversering av eventuell antikoagulerende legemidler og tidlig vurdering av kirurgi begrenser hjerneskade og gjør at flere pasienter får et godt funksjonsnivå også ved hjerneblødning.
Håkon Ihle-Hansen MD PhD, seniorforsker, Overlege ved Geriatri, slag og rehabilitering, Bærum Sykehus
Marte Meyer Walle-Hansen MD, stipendiat, lege i spesialisering geriatri, Bærum sykehus
Ingvild Nakstad MD, Overlege i nevrologi, stipendiat Bærum Sykehus
Gisle Berg Helland MD, stipendiat, lege i spesialisering nevrologi, Ullevål Universitetssykehus
Guri Hagberg MD PhD, Prosjektleder SIFT (The Safety of intravenous thrombolysis in acute ischemic stroke with recent ingestion of factor Xa inhibitor study), Overlege Seksjon for hjerneslag, Ullevål Universitetssykehus
Hege-Ihle Hansen MD Phd, Overlege ved Akuttmedisinsk avdeling, Ullevål Universitetssykehus, 1. amanuensis ved Senter for medisinsk etikk, UIO
Bakgrunn Av de årlige 10 000 akutte hjerneslagene i Norge, utgjør hjerneblødninger 14%. Hjerneblødning er en alvorlig sykdom, der dødeligheten er 39%, og kun 36% er selvhjulpne etter 3 måneder (1). Spontan hjerneblødning skyldes ruptur av et intracerebralt blodkar. Rupturen kan oppstå spontant eller sekundært til et traume, og fører til blødning inn i det omkringliggende hjerneparenkymet eller ventrikulærsystemet. Den skiller seg derfor fra subaraknoidalblødninger, der blødningen oppstår mellom arachnoidea og pia mater, oftest med hyperakutt debut av hodepine, tidvis med ledsagende nevrologiske symptomer. Denne tilstanden er mer sjelden og behandles primært nevrokirurgisk.
Ved spontan hjerneblødning kan blødningens lokalisasjon, størrelse og eventuelle ledsagende ødem si noe om årsak og prognose. En blødning lokalisert dypt i hjernen (subkortikale blødninger) er forårsaket av ruptur i små perforerende arterier. Disse perforantarteriene er særlig sårbare for høyt blodtrykk over tid, med påfølgende lipohyalinose og degenerasjon av blodkar. Kortikal blødning skyldes oftest karmalformasjoner hos de yngre, og cerebral amyloid angiopati hos de eldre.
Hjerneslag er blålys-medisin, og ved mistenkt hjerneslag skal pasienten hurtig transporteres til nærmeste
sykehus. Vi kan ikke skille mellom hjerneslag forårsaket av blodpropp eller blødning ved klinisk undersøkelse. Rask bildeundersøkelse er derfor avgjørende for valg av videre behandling, og CT caput inkludert CT angiografi er førstevalg av billedmodalitet i akuttfasen. Hos en pasient med hjerneblødning bør CT angiografi av de intracerebrale karene utføres for å påvise eventuelle underliggende strukturell karpatologi som utløsende årsak. En lekkasje av kontrastmiddel inn i hematomet («spot sign») tolkes som fortsatt pågående blødning og er en prognostisk viktig faktor for et dårligere utkomme. I tilfeller der blødingslokalisasjon ikke følger de vanlige arterielle kargebetene anbefales det å legge til kontrast i venefase for å utelukke sinusvenetrombose. (Figur 1)
Standardiserte pasientforløp ved akutt hjerneblødning («Bundle of care»)
Ingen enkelttiltak har så langt, vist dokumentert effekt på funksjon etter hjerneblødning. Til gjengjeld viser nyere studier at man ved etablering av standardiserte pasientforløp, såkalte «bundle of care», reduserer dødeligheten og oppnår bedre funksjon etter 3 måneder (2, 3). Den kombinerte intervensjonen består av: 1) rask og vedvarende blodtrykkskontroll, spesifisert som systolisk blodtrykk <140 mmHg innen 1 time etter innkomst sykehus,
2) rask reversering av eventuell antikoagulerende legemidler, 3) vurdering av kirurgi, i tillegg til god homeostase gjennom kontroll av blodsukker (>6 til ≤ 10 mmol/L), behandling av feber med antipyretika, og forebygge og tidlig behandle komplikasjoner. (Figur 2)
Rask og vedvarende blodtrykkskontroll
Forhøyet blodtrykk er et vanlig funn i den hyperakutte fasen ved hjerneblødning. Årsaken er ikke fullt ut forstått, men er forbundet med økt risiko for ekspansjon av hematomet og ødemutvikling, som igjen er knyttet til dårlig utkomme i form av klinisk forverring, redusert funksjon og

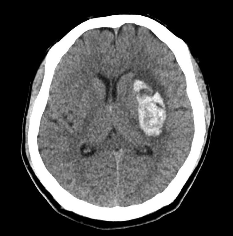
Figur 1. CT caput. Blødning i basalganglier ve side med tilstøtende ødem og lett kompresjon av ve sideventrikkel. Marginal midtlinje forskyvning. (Fra Shutterstock, med tillatelse)
død (4). Tilsvarende har blodtrykksbehandling i den hyperakutte fasen (<6 timer fra symptomdebut) vist å kunne redusere hematom vekst, ødemutvikling og gi bedre funksjonsnivå målt med modified Rankin Scale (mRS) etter 3 måneder (5-8). En rekke studier har undersøkt blodtrykksbehandling med ulike protokoller ved akutt hjerneblødning. Oppsummert ser det ut til å være gunstig å raskt (innen 1-2 timer etter sykehusinnleggelse) senke systolisk blodtrykk til 140-160 mmHg (eller maks 70 mmHg systolisk blodtrykksreduksjon fra utgangsnivå) og holde det stabilt der det første døgnet, såfremt pasienten innkommer innen 6 timer etter symptomdebut (5, 9-11).
Nytten av oppstart av intensiv blodtrykksbehandling i tidsrommet 6-72 timer er usikker, men anbefales i gjeldende retningslinjer (6). Systolisk blodtrykk bør samtidig holdes over >110 mmHg for å unngå komplikasjoner, deriblant nyresvikt. Hos pasienter med skrøpelighet, store hematomer (>60 ml), og de med svært høye blodtrykksverdier ved innkomst, kan det være rimelig å senke systolisk blodtrykk ned mot 150-160 mmHg systolisk.
For å oppnå tilstrekkelig blodtrykkskontroll, og for samtidig å unngå for store svingninger i blodtrykket, som også antas å være ufordelaktig for utkomme, er det ofte nødvendig med intravenøs og kontinuerlig infusjon av antihypertensiva. Det foreligger ingen klare anbefalinger for valg av medikamenter, men basert på enkelte studier ser det ut til at glyseroltrinitrat ikke bør være førstevalg (12). Ved norske sykehus er labetalol, enten som bolus eller infusjon, et godt og mye brukt preparat i den hyperakutte fasen ved hjerneblødning.
Reverserende behandling ved hjerneblødning og bruk av antitrombotika
Bruk av antitrombotisk behandling er vanlig og forbundet med en noe økt risiko for blødningskomplikasjoner, inkludert hjerneblødninger (13).
I Norge har det vært en økende bruk av antikoagulantia de senere år (14).
Selv om de fleste pasientene står på direktevirkende orale antikoagulasjonsmidler (DOAK), som har

Figur 2. Standardisert forløp ved akutt hjerneblødning består av 1) rask og vedvarende blodtrykkskontroll, 2) rask reversering av eventuell antikoagulerende legemidler, 3) vurdering av kirurgi, i tillegg av stabil homeostase gjennom kontroll av blodsukker, behandling av feber med antipyretika, og å forebygge og tidlig behandle komplikasjoner. Illustrasjon laget av forfatterne ved hjelp av Storyset.com og Shutterstock.
redusert risiko for hjerneblødninger sammenliknet med warfarin, har økende bruk av slike medikamenter medført stigende forekomst av hjerneblødninger (15, 16).
Ved hjerneblødning sekundært til bruk av antitrombotisk behandling skal man umiddelbart seponere preparatet og vurdere å reversere virkningen av antikoagulerende legemidler.
Ved bruk av warfarin (Marevan®) anbefales protrombinkompleks (Octaplex®, Prothromplex®, Confidex®) etterfulgt av 10 mg Vitamin K (17-19). Vitamin K brukes fordi koagulasjonsfaktorene har betydelig kortere virkningstid enn warfarin (20). Protrombinkompleks doseres etter INR-nivå, men i en akutt situasjon vil én dose på 30 IE/ kg være tilstrek kelig, selv ved høye INR-verdier (18).
For direkte trombin (faktor II)hemmeren dabigatran eksisterer og foretrekkes det en spesifikk antidot (idarusizumab), som raskt og fullstendig eliminerer dabigatran og tilhørende effekt (21). Hvis spesifikk antidot ikke er tilgjengelig, kan også her protrombinkompleks eller aktivert protrombinkompleks (FEIBA®) vurderes.
Spesifikk antidot også for hjerneblødninger ved bruke av Faktor Xa-hemmere?
For faktor Xa-hemmerne (endoksaban, rivaroxaban, apixaban) er det nå utviklet en felles spesifikk antidot (Andeksanet alfa), og som er ventet å være tilgjengelig i løpet av kort tid. Antidoten binder sirkulerende faktor Xa-hemmere, og fører til en rask reversering av anti-Xa-aktivitet med tilhørende hemostase (22, 23).
I ANNEXa-1 studien ble Andeksanet alfa undersøkt mot standard
Median hematom volum, ml
Median NIHSS ved innleggelse 9
Andel som fikk PCC i standard behandlingsgruppen 86%
Tid fra innkomst til behandling, timer 2,2
Andelen av ulike FXa hemmere
NIHSS National Institutes of Health Stroke Scale, PCC protrombinkompleks
behandling i en populasjon med pasienter med akutt hjerneblødning (symptomdebut <6 h, siste inntak av faktor Xa-hemmer <15 timer, hematomvolum 0,5 til 60 ml, Glasgow Coma Scale (GCS) >7), der hovedendepunktet var hematomvekst (>12.5 ml) innen 12 timer (24). Studiekarakteristika ved inklusjon er presentert i Tabell 1, som blant annet viser at pasientene var rundt 80 år og hadde moderate alvorlig hjerneslag målt ved NIHSS. Studien ble stoppet tidlig etter at 452 av 900 planlagte pasienter var inkludert, da man kunne vise at Adneksanet alfa reduserte hematomveksten. Gruppen som fikk Andeksanet alfa hadde også lavere anti-faktor Xa-aktivitet sammenliknet med de som fikk standard behandling (94,4% vs 23,5% reduksjon), og effekten så ut til å være uavhengig av alder, tid fra symptomdebut, og hematom størrelse/alvorlighetsgrad. Denne effekten på aktivitet var noe lavere ved endoksaban sammenliknet med apixaban og rivaroxaban (reduksjon av anti-faktor Xa aktiviktet ⁓ 95% vs 73%). Det var som nevnt færre med hematomvekst (>12,5 ml) i Andeksanet alfa gruppen, men det var ingen statistisk forskjell mellom gruppene når det kom til godt funksjonelt utkomme, definert som mRS<3 etter 30 dager eller død. I tillegg ble det observert økt forekomst av trombemboliske komplikasjoner
i Andeksanet alfa gruppen (10.3% vs. 5.6%, p<0.05), og dette ble i hovedsak drevet av iskemiske slag og hjerteinfarkter. Pasienter med tidligere gjennomgått hjerneslag så ut til å være særlig utsatt for disse komplikasjonene. Da tallene er små må man være varsom med å konkludere, og man vil nok trenge mer sikkerhetsdata før preparatet kan brukes som standard ved akutt hjerneblødning. Hvis det kommer inn i guidelines som en mulighet, vil det være viktig å overvåke sikker hetsprofilen av preparatet. Dette vil spesielt gjelde pasienter med akutt hjerneblødning som samtidig har forhøyet risiko for trombotiske hendelser.
Frem til en spesifikk antidot foreligger bør man bruke protrombinkompleks ved hjerneblødninger assosiert med bruk av faktor Xa-hemmere (20). I motsetning til Andeksanet alfa er ikke protrombinkompleks undersøkt i randomiserte studier i denne pasientgruppen, men fordi hjerneblødning er en alvorlig tilstand anbefales allikevel bruk av protrombinkompleks til tross for fravær av sikker effekt.
Tabell 2 viser orale antikoagulantia med tilhørende antidot og forslag til dosering.
Ved bruk av platehemmende behandling skal man ikke foreta seg noe ut over å seponere behandlingen. Infusjon av blodplatekonsentrat ser ut til heller å være skadelig, og har ingen plass i behandlingen av akutt hjerneblødning (25). Traneksamsyre har heller ingen dokumentert nytte ved akutte spontane hjerneblødninger (20, 25).
Vurdering av kirurgi
De fleste hjerneblødninger behandles konservativt da kirurgi ikke har vist effekt med unntak av ved truende herniering og derav vital indikasjon. Det er imidlertid utvikling på dette feltet, og det pågår flere studier. I en nylig publisert studie viste man effekt av minimal invasiv kirurgi ved operasjonstidspunkt innen 24 timer. Studien randomiserte pasienter med supratentorialle blødninger (hematom volum 30-80 ml), GCS mellom 5-14,
National Institutes of Health Stroke Scale skår (NIHSS)>5, og premorbid funksjonsnivå mRS 0-1) (26). Resultatet var i hovedsak positivt for de med overfladisk kortikale blødninger, og ikke ved en dyp blødning slik vi har vist i Figur 1. Studien bestod som vi ser over av en svært selektert pasient gruppe, der man screenet over 11 000 for å inkludere 300 pasienter. I en annen nylig studie så man en trend mot økt overlevelse ved kirurgisk dekompressiv kraniektomi uten hematom evakuering ved alvorlige dype subkortikale blødninger, uten at de ble operert på vital indikasjon (27). Hva slags klinisk betydning studiene får gjenstår å se, men inntil videre rådes det til å konferere med nevrokirurg ved akutte hjerneblødninger, og sammen diskutere muligheter og nytten ved kirurgi.
Hvis blødningen skyldes karmalformasjoner avdekket på CT angiografi eller i spesielle tilfeller konvensjonell angiografi, kan det være aktuelt med nevrokirurgisk behandling i en stabil fase, og da for å forhindre nye hjerneblødninger.
Ved stor blødning, gjennombrudd til ventrikkel system (økt risiko for hydrocephalus utvikling) og blødning lokalisert i lillehjernen (fare for herniering grunnet redusert plassforhold) må pasienten monitoreres ekstra hyppig, med lav terskel for ny CT og fornyet konferering med nevrokirurg ved klinisk forverring. Klinisk indikasjon for ny CT caput er som hovedregel: fall i GCS score med ≥2 poeng, økning i NIHSS ≥ 2 poeng, pupille-endring, eller klinisk mistanke om hydrocephalusutvikling. Rutinemessig CT kontroll anbefales ikke lenger.
Hjerneblødninger som skyldes traumer behandles av ortopeder ved norske sykehus, men akutt-behandlingen er i hovedsak identisk med spontane hjerneblødninger.
God homeostase; blodsukkerkontroll og behandling av feber med antipyretika
Ved akutt hjerneblødning er velregulert blodsukker og behandling av feber viktig for hjernefunksjonen.
Tabell 2: Antikoagulantia med tilhørende antidot og forslag til dosering ved hjerneblødning
Antikoagulantia
Antidot Dosering
Warfarin Protrombinkompleks (alternativ aktivert Protrombinkompleks)
Faktor II –hemmer (dabigatran)
30 IE/kg
1. valg: Spesifikk antidot Idarusizumab 2 hetteglass à 2,5 g
2. valg: Uspesifikk antidot Protrombinkompleks 50 IE/kg
Faktor Xa-hemmere (endoksaban, rivaroxaban, apixaban)
1. valg: Uspesifikk antidot Protrombinkompleks 50 IE/kg
2. Mulig fremtidig behandling: Spesifikk antidot (forventes snart på det norske markedet)
Andeksanet alfa Bolus, hastighet 30 mg/min, etterfulgt av infusjon over 2 timer. Lav dose (400 mg) gis hvis siste inntak ≥8 timer eller redusert dose av antikoagulantia¨ Høy dose (800 mg) ved høye doser F Xa hemmer og siste inntak <8 timer
Høyt blodsukker og kroppstemperatur kan bidra til ødemutvikling, hematom ekspansjon, celledød, redusert funksjonelt utkomme og død (28-30). De norske retningslinjene anbefaler å behandle blodsukker høyere enn 10 mmol/l, med mål om blodsukker mellom 6 og 8 mmol/l (31). I nyere studier, har man brukt ulike blodsukkermål for pasienter
Referanser
1. Fjærtoft H, Skogseth-Stephani R., Varmdal, T., Halle, K.K., Krokan T.G., Bjerkvik T.F., Indredavik, B. Årsrapport for 2022. , Report No.: 2022.
2. Ma L, Hu X, Song L, et al. The third Intensive Care Bundle with Blood Pressure Reduction in Acute Cerebral Haemorrhage Trial (INTERACT3): an international, stepped wedge cluster randomised controlled trial. Lancet (London, England) 2023; 402: 27-40.
3. Parry-Jones AR, Sammut-Powell C, Paroutoglou K, et al. An Intracerebral Hemorrhage Care Bundle Is Associated with Lower Case Fatality. Annals of neurology 2019; 86: 495-503.
4. Davis SM, Broderick J, Hennerici M, et al. Hematoma growth is a determinant of mortality and poor outcome after intracerebral hemorrhage. Neurology 2006; 66: 1175-81.
5. Anderson CS, Heeley E, Huang Y, et al. Rapid bloodpressure lowering in patients with acute intracerebral hemorrhage. The New England journal of medicine 2013; 368: 2355-65.
6. Sandset EC, Anderson CS, Bath PM, et al. European Stroke Organisation (ESO) guidelines on blood pressure management in acute ischaemic stroke and intracerebral haemorrhage. European Stroke Journal 2021; 6: XLVIII-LXXXIX.
7. Li G, Lin Y, Yang J, et al. Intensive Ambulance-Delivered Blood-Pressure Reduction in Hyperacute Stroke. The New England journal of medicine 2024.
8. Delcourt C, Huang Y, Arima H, et al. Hematoma growth and outcomes in intracerebral hemorrhage: the INTERACT1 study. Neurology 2012; 79: 314-9.
9. Qureshi AI, Foster LD, Lobanova I, et al. Intensive Blood Pressure Lowering in Patients with Moderate to Severe Grade Acute Cerebral Hemorrhage: Post Hoc Analysis of Antihypertensive Treatment of Acute Cerebral Hemorrhage (ATACH)-2 Trial. Cerebrovasc Dis 2020; 49: 244-52.
10. Yuan F, Yang F, Zhao J, et al. Controlling Hypertension After Severe Cerebrovascular Event (CHASE): A randomized, multicenter, controlled study. Int J Stroke
med diabetes (mål 7.8 -10 mmol/L) og de uten diabetes (mål 6.1-7.8 mmol/L) (2). Temperaturer over 37.5 grader behandles med paracetamol de første 24-48 timer etter debut av blødningen (31).
Oppsummering «Tid er hjerne» også ved hjerneblødning. Avdekkes en blødning i
2021; 16: 456-65.
11. McEvoy JW, McCarthy CP, Bruno RM, et al. 2024 ESC Guidelines for the management of elevated blood pressure and hypertension. Eur Heart J 2024.
12. Bath PM, Woodhouse LJ, Krishnan K, et al. Prehospital Transdermal Glyceryl Trinitrate for Ultra-Acute Intracerebral Hemorrhage: Data From the RIGHT-2 Trial. Stroke 2019; 50: 3064-71.
13. Gulati S, Solheim O, Carlsen SM, et al. Risk of intracranial hemorrhage (RICH) in users of oral antithrombotic drugs: Nationwide pharmacoepidemiological study. PloS one 2018; 13: e0202575.
14. Kjerpeseth LJ, Ellekjær H, Selmer R, et al. Trends in use of warfarin and direct oral anticoagulants in atrial fibrillation in Norway, 2010 to 2015. Eur J Clin Pharmacol 2017; 73: 1417-25.
15. Komen JJ, Pottegård A, Mantel-Teeuwisse AK, et al. Oral anticoagulants in patients with atrial fibrillation at low stroke risk: a multicentre observational study European Heart Journal 2022; 43: 3528-38.
16. Grundtvig J, Ovesen C, Havsteen I, et al. Trends in incidence of oral anticoagulant-related intracerebral hemorrhage and sales of oral anticoagulants in Capital Region of Denmark 2010-2017. Eur Stroke J 2021; 6: 143-50.
17. Franchini M, Lippi G. Prothrombin complex concentrates: an update. Blood Transfus 2010; 8: 149-54.
18. Steiner T, Poli S, Griebe M, et al. Fresh frozen plasma versus prothrombin complex concentrate in patients with intracranial haemorrhage related to vitamin K antagonists (INCH): a randomised trial. The Lancet Neurology 2016; 15: 566-73.
19. Sarode R, Milling TJ, Jr., Refaai MA, et al. Efficacy and safety of a 4-factor prothrombin complex concentrate in patients on vitamin K antagonists presenting with major bleeding: a randomized, plasma-controlled, phase IIIb study. Circulation 2013; 128: 1234-43.
20. Christensen H, Cordonnier C, Kõrv J, et al. European Stroke Organisation Guideline on Reversal of Oral Anticoagulants in Acute Intracerebral Haemorrhage. Eur Stroke J 2019; 4: 294-306.
akuttmottaket må tiltak iverksettes umiddelbart, da dette gir bedre prognose for pasientene. Viktigste tiltak er rask og vedvarende blodtrykkskontroll, reversering av eventuell antikoagulasjons behandling, fortrinnsvis med spesifikk antidot, og vurdering av kirurgi. Fagfeltet er i rask utvikling, så her kan mye skje i årene fremover.
21. Pollack CV, Reilly PA, Eikelboom J, et al. Idarucizumab for Dabigatran Reversal. New England Journal of Medicine 2015; 373: 511-20.
22. Siegal DM, Curnutte JT, Connolly SJ, et al. Andexanet Alfa for the Reversal of Factor Xa Inhibitor Activity. The New England journal of medicine 2015; 373: 241324.
23. Milling TJ, Jr., Middeldorp S, Xu L, et al. Final Study Report of Andexanet Alfa for Major Bleeding With Factor Xa Inhibitors. Circulation 2023; 147: 1026-38.
24. Connolly SJ, Sharma M, Cohen AT, et al. Andexanet for Factor Xa Inhibitor–Associated Acute Intracerebral Hemorrhage. New England Journal of Medicine 2024; 390: 1745-55.
25. Eilertsen H, Menon CS, Law ZK, et al. Haemostatic therapies for stroke due to acute, spontaneous intracerebral haemorrhage. The Cochrane database of systematic reviews 2023; 10: Cd005951.
26. Pradilla G, Ratcliff JJ, Hall AJ, et al. Trial of Early Minimally Invasive Removal of Intracerebral Hemorrhage. The New England journal of medicine 2024; 390: 1277-89.
27. Beck J, Fung C, Strbian D, et al. Decompressive craniectomy plus best medical treatment versus best medical treatment alone for spontaneous severe deep supratentorial intracerebral haemorrhage: a randomised controlled clinical trial. The Lancet.
28. Saxena A, Anderson CS, Wang X, et al. Prognostic Significance of Hyperglycemia in Acute Intracerebral Hemorrhage. Stroke 2016; 47: 682-8.
29. Zheng J, Yu Z, Ma L, et al. Association Between Blood Glucose and Functional Outcome in Intracerebral Hemorrhage: A Systematic Review and MetaAnalysis. World Neurosurg 2018; 114: e756-e65.
30. Schwarz S, Häfner K, Aschoff A, et al. Incidence and prognostic significance of fever following intracerebral hemorrhage. Neurology 2000; 54: 354-.
31. Nasjonal faglig retningslinje for behandling og rehabilitering ved hjerneslag: https://helse direktoratet. no/retningslinjer/hjerneslag.


Nevropati er sammen med retinopati og nefropati de vanligste mikrovaskulære komplikasjonene til diabetes mellitus. Nasjonale retningslinjer anbefaler årlig fotundersøkelse, inkludert 10-g monofilamenttest for å avdekke diabetes polynevropati og for å vurdere risikoen for utvikling av fotsår. Men er vi flinke til å utføre monofilamenttesten, og hvor god er egentlig testen på å avdekke nevropati?
Susanna Valland, overlege, Indremedisink avdeling Hamar, Sykehuset Innlandet. Sondre Meling, overlege, phd, Endokrinologisk seksjon, Stavanger Universitetssykehus
Bakgrunn: Nevropati er en samlebetegnelse for ulike sykdommer som gir funksjonsforstyrrelse i det perifere nervesystemet. Årsakene til nevropati er flere, men diabetes er i studier vist å være årsaken i opptil 50% av tilfellene (1). 20-30 % har idiopatisk perifer nevropati (2). Det er verdt å merke se seg at 25-62% av disse kan ha prediabetes (3). Tabell 1 viser de vanligste årsakene til nevropati.
Distal polynevropati er den vanligste formen for diabetes nevropati og utgjør ca. 75% av all diabetes nevropati (4). Distal polynevropati er definert som symptomer på eller tegn til perifer nervedysfunksjon hos personer med diabetes etter at andre årsaker er ekskludert (5). Tilstanden er en hyppig forekommende senkomplikasjon som rammer ca. 20% av personer med diabetes type 1
Diabetes
Stoffskiftesykdom
Monoklonal gammopati
Alkohol
Medikamenter (tidligere cytostatika, amiodarone)
Malabsorpsjon, ernæringssvikt, herunder vitamin B12 mangel
Nyresykdom
Infeksjonssykdommer (HIV, malaria, hepatitt)
Autoimmune tilstander
Vaskulitter, amyloidose
Arvelige former
Nervekompresjon, traume
Idiopatisk
Kilde: «Pop-Busui R, Boulton AJM, Feldman EL, et al. (2017) Diabetic Neuropathy: A Position Statement by the American Diabetes Association. Diabetes Care 40(1): 136-154. 10.2337/dc16-2042. J Diabetes Care»
etter 20 år, og opptil 50% av personer med diabetes type 2 etter 10 år. Opptil 35% kan også ha symptomer eller tegn til distal polynevropati allerede på diagnosetidspunkt for diabetes type 2 (4). Høy HbA1c, tilstedeværelse av andre diabetes komplikasjoner og sykdomsvarighet er assosiert med distal polynevropati. Andre risikofaktorer er røyking, hypertensjon, hyperkolesterolemi, fedme og økt høyde (4). Andre former for diabetes nevropatier opptrer sjeldnere og er illustrert i figur 1, som også illustrerer typisk utvikling av distal polynevropati i forhold til utbredelse (6).
Symptomer og tegn: Distal polynevropati kan gi nummenhet, prikninger, nedsatt følelse, temperaturendringer, endret respons på stimuli og smerter som kan oppleves stikkende, brennende, elektrisk eller en kombinasjon av dette. Likevel kan opptil 50% være uten ovennevnte symptomer. Tilstanden er normalt progressiv med bilateral utvikling. Øvrige former for nevropati har oftere bråere debut, noen ganger
med motoriske utfall og er mindre assosiert med HbA1c, varighet av diabetes og andre diabetesrelaterte komplikasjoner.
Diagnosen: Gullstandard for å påvise nevropati er elektronevrografi, hvor en kan se ledningshastigheten i perifere nerver, hvilke nerver som er rammet og om det involverer aksonet og/eller myelinskjedene. Undersøkelsen forteller oss først om fremst noe om tykke nervefibre. Hudbiopsi med vurdering av intraepidermal nervefiber tetthet brukes for undersøkelse av tynne nervefibre, som en antar rammes før tykke fibre ved distal polynevropati.
Elektronevrografi og hudbiopsi er dessverre lite tilgjengelige og ressurskrevende undersøkelser. I praksis er konsensus at diagnosen kan stilles ut fra såkalte minimale kriterier, der sannsynlig distal polynevropati ansees adekvat i en allmennpraksis eller diabetespoliklinikk for å stille diagnosen, se tabell 2 (7).
Tabell 2: Minimale diagnosekriterier for distal polynevropati
Mulig Sannsynlig Bekreftet
Ett eller flere symptom relatert til nevropati ELLER en nedsatt undersøkelse
Ett eller flere symptom relatert til nevropati OG en nedsatt undersøkelse
Ett eller flere symptom relatert til nevropati ELLER en nedsatt undersøkelse med samtidig abnormal nevrografi
Kilde: «Tesfaye S, Boulton AJ, Dyck PJ, et al. (2010) Diabetic neuropathies: update on definitions, diagnostic criteria, estimation of severity, and treatments. Diabetes Care 33(10): 2285-2293. 10.2337/dc10-1303»

Figur 1. Former for diabetes nevropati. Øverst: Forskjellige former. Nederst: Typisk utvikling for distal polynevropati. Kilde: « Gylfadottir SS, Weeracharoenkul D, Toft Andersen S, et al. J Diabetes Investig. 2019 Sep; 10(5): 1148–1157.» Reprodusert etter http://creativecommons.org/licenses/by/4.0/ License.
Undersøkelser: Der diabetes retinopati og nefropati har gode, subjektive screeningmetoder i form av retinascanning og urinprøve med måling av albumin-kreatinin ratio, må nevropatien i stor grad basere seg på subjektive undersøkelser og anamnese. Testen brukt er i hovedsak 10-g monofilamenttest, der filamentet bøyer seg mot huden ved et trykk på mer enn 10 g. I praksis ber man testpersonen lukke øynene og tuppen av monofilamenttesten settes mot huden til filamentet bøyer seg lett på åtte forskjellige punkter, se figur 2. Nevropati er angitt usannsynlig når personen kjenner 7-8 av 8 punkter, mulig ved 4-6 punkter og tyder sterkt på nevropati ved 0-3 punkter (8). Tolkningen her bygger i stor grad på publikasjoner som har vist at dersom man kjenner < 1 av 8 trykkpunkter får man en sensitivitet for nevropati på 77%, mens man oppnår en spesifisitet på 96% for å ikke ha nevropati om man føler > 5 av 8 punkter (9). Å kjenne > 5 punkter har vist en negativ prediktiv verdi på 87% for utvikling av distal polynevropati de neste fire år (10). En norsk multisenter studie fra det nevrofysiologiske miljøet har publisert resultater
for monofilamenttest ved distal polynevropati som viste en sensitivitet på 60% og spesifisitet på 82%, men her brukte man en cut off på 6 punkter eller mindre som positivt funn. Studien viste at testen var mindre sensitiv hos kvinner, ved alder over 50 år, ved nevropatisk smerte, og at funnene ikke kunne relateres til alvorlighetsgrad.
Ved usikkerhet, hovedsakelig ved følelse av 4-6 punkter på monofilamenttest, anbefales test av vibrasjonsfølelse ved hjelp av en stemmegaffel. Det brukes en 128 Hz stemmegaffel som settes på den benete delen av stortåens ytterste ledd, hvor testpersonen angir om vibrasjon kjennes. Man tester fire ganger på hver stortå, med samme kriterier for sannsynlighet for nevropati som for monofilamenttesten; 7-8 indikerer usannsynlig nevropati, 4-6 mulig, og 0-3 sterkt tydende på nevropati, se også figur 2 (8).
Screening: Både internasjonalt og i nasjonale faglige retningslinjer anbefales det å screene årlig for distal polynevropati hos personer med diabetes ved bruk av 10-g

a) Monofilament testen

b) Trykkpunkter for monofilamenttest. (Kilde: Nasjonal faglig veileder i diabetes)

c) Vibrasjonsfølelse med stemmegaffel
Figur 2. Trykkes med tillatelse. Fra J of Diabetes Invest, Volume: 10, Issue: 5, Pages: 1148-1157,
Distal polynevropati foreligger hos nærmest alle som utvikler fotsår og disponerer dermed også for amputasjon
Tabell 3: Risiko for fotsår
Lav Moderat Høy
Normal monfilamenttest OG Nedsatt monofilamenttest < 6/8, ELLER Nedsatt monofilamenttest < 6/8, OG manglende fotpuls på en fot, ELLER:
Minst en målbar fotpuls, OG: Ikke målbar puls på en fot, ELLER: Tidligere sår eller amputasjon, ELLER:
Ingen fotdeformitet Fotdeformitet, ELLER: Manglende fotpulser
Manglende evne til å se/undersøke egen fot
Kilde: Nasjonal faglig retningslinje for diabetes, Diabetes - Helsedirektoratet. Lest 08.09.24.
monofilamenttest og samtidig vurdere risikoen for utvikling av fotsår, som beskrevet senere. Tall fra norsk fastlegepraksis tyder på at undersøkelse av føttene er et forsømt område, hvor man i 2014 fant at 28% av personer med diabetes type 2 hadde fått undersøkt føttene innenfor de siste 15 måneder (11). Fra sykehuspoliklinikker finner man et tilsvarende tall fra 2022 for diabetes type 1 på 60% innenfor siste året (Norsk diabetesregister for voksne).
Hvorfor skal man finne diabetes nevropati? Vi mangler per i dag spesifikk behandling for diabetes nevropati, men tilstanden kan bremses ved hjelp av god blodsukkerkontroll og, spesielt for diabetes type 2, håndtering av høyt blodtrykk, fedme, hyperkolesterolemi og røykeslutt (4). Likevel finnes det flere gode grunner til å screene for nevropati. Distal polynevropati er en eksklusjonsdiagnose og øvrige årsaker til nevropati bør med rimelig sikkerhet være ekskludert, da en ikke-diabetisk årsak kan ha en spesifikk behandling eller tiltak. Et annet argument for screening er at opptil 50% med tilstanden er asymptomatiske, og at skade i tidlig fase til en viss grad kan være reversibel. Dersom pasienten har smerter finnes det behandling man kan forsøke, og mistanke om distal polynevropati øker risikoen for utvikling av diabetiske fotsår (4, 12).
Nye muligheter for enkel deteksjon av nevropati: Flere tester for diabetes nevropati er under utprøving, med det håndholdte apparatet DPN Check og corneal confokal mikroskopi (CCM) som de mest fremtredende. DPN Check måler nerveledningshastighet og styrke i n. suralis, som går fra ankelen til midt opp på leggen og er validert opp mot gullstandarden nevrografi i mindre studier (13). Ved CCM avbildes nervefibre på øyet og studier viser at både tetthet, lengde, forgreninger og utseende av fibrene korrelerer bra med grad av distal polynevropati (14). CCM kan potensielt også utføres samtidig med retinascanning på årlig kontroll hos øyelege. På markedet finnes også tester for svettefunksjon som tester tynnere nervefibre, som ofte rammes før de tykke nervefibrene.
Diabetiske fotsår og amputasjoner: Et diabetisk fotsår er oftest definert som sår under ankelnivå hos personer med nåværende eller tidligere diabetes mellitus. Det foreligger vanligvis nevropati og/eller redusert perifer arteriell sirkulasjon og forlenget tilhelingstid (>3 uker) (15). Livstidsinsidens for å utvikle et diabetisk fotsår er angitt et sted mellom 19 og 34% for en person med diabetes (16). I Norge viser ROSA 4 studien at 7,4% har gjennomgått et diabetisk fotsår etter diabetes type 2 med varighet i snitt 7 år, mens siste
tall fra HUNT 4 viser en livstidsprevalens på 5,0% ved diabetes type 2, noe høyere for diabetes type 1 (7,2%) (11, 17). Sammenliknet med tidligere HUNT studier ser livstidsprevalensen for utvikling av fotsår ut til å synke. Fotsår er krevende å behandle og residivrisikoen er høy. En norsk studie fulgte diabetespasienter med fotsår i 1 år, hvor kun 37 % av sårene var tilhelet og 14 % hadde gjennomgått en amputasjon i løpet av oppfølgingsperioden (18).
Opp mot 80 % av amputasjoner hos personer med diabetes kan ses i sammenheng med fotsår (19). Skandinaviske data viser at distal polynevropati foreligger hos nærmest alle som utvikler fotsår (20). Amputasjoner blant personer med diabetes er en av flere nasjonale kvalitetsindikatorer som følges av Helse direktoratet. Mellom 2015 og 2022 har forekomsten hatt en positiv utvikling med reduksjon i amputasjoner fra 2.7 pr 1000 pasienter til 1.8 pr 1000 pasienter, men med økende forekomst av diabetes type 2 så utføres det fortsatt rundt 500 amputasjoner i underekstremitet hos personer med diabetes i Norge per år (21).
Både fotsår og amputasjon hos en person med diabetes er en svært dårlig prognostisk faktor. Risiko for død hos en pasient med diabetisk fotsår er beregnet til 2,5 ganger
Opptil 75% av alle fotsår kan forebygges med rimelig enkle tiltak som egenundersøkelse av føtter, fotstell, trykkavlastning og godt fottøy
høyere de neste 5 år enn hos en med diabetes uten fotsår, mens 5-års mortalitet etter gjennomført diabetes-relatert amputasjon ligger på over 70% (22, 23). Norske tall viser en 30-dagers dødelighet på 32 % etter første amputasjon hos en person med diabetes (24). Reduksjon av antall fotsår vil også trolig gi en helseøkonomisk gevinst. I England har man beregnet at 1/3 reduksjon av diabetisk fotsår prevalens kan redusere behandlingskostnadene med 250 millioner pund årlig (25).
Screening for fotsår: Det er viktig å skille mellom bruk av monofilamenttesten i screening for nevropati og brukt i risikovurdering for diabetisk fotsår. Testen gir en god indikasjon på følsomheten under føttene og dermed evne til å føle fremmedlegemer. I risikovurderingen for
Referanser
(1) Feldman EL, Callaghan BC, Pop-Busui R, et al. (2019) Diabetic neuropathy. Nature Reviews Disease Primers 5(1): 41. 10.1038/s41572-019-0092-1
(2) Hanewinckel R, van Oijen M, Ikram MA, et al. (2016) The epidemiology and risk factors of chronic polyneuropathy. European Journal of Epidemiology 31(1): 5-20. 10.1007/s10654-015-0094-6
(3) Papanas N, Vinik AI, Ziegler D (2011) Neuropathy in prediabetes: does the clock start ticking early? Nat Rev Endocrinol 7(11): 682-690. 10.1038/nrendo.2011.113
(4) Pop-Busui R, Boulton AJM, Feldman EL, et al. (2017) Diabetic Neuropathy: A Position Statement by the American Diabetes Association. Diabetes Care 40(1): 136-154. 10.2337/dc16-2042 %J Diabetes Care
(5) Ziegler D, Tesfaye S, Spallone V, et al. (2022) Screening, diagnosis and management of diabetic sensorimotor polyneuropathy in clinical practice: International expert consensus recommendations. Diabetes Research and Clinical Practice 186: 109063. https://doi.org/10.1016/j.diabres.2021.109063
(6) Gylfadottir SS, Weeracharoenkul D, Andersen ST, et al. (2019) Painful and non-painful diabetic polyneuropathy: Clinical characteristics and diagnostic issues. Journal of diabetes investigation 10(5): 1148-1157. 10.1111/jdi.13105
(7) Tesfaye S, Boulton AJ, Dyck PJ, et al. (2010) Diabetic neuropathies: update on definitions, diagnostic criteria, estimation of severity, and treatments. Diabetes Care 33(10): 2285-2293. 10.2337/dc10-1303
(8) (2019) National Guidelines for Diabetes. Available from https://www.helsedirektoratet.no/retningslinjer/ diabetes
(9) Perkins BA, Olaleye D, Zinman B, et al. (2001) Simple screening tests for peripheral neuropathy in the diabetes clinic. Diabetes Care 24(2): 250-256. 10.2337/ diacare.24.2.250
(10) Perkins BA, Orszag A, Ngo M, et al. (2010) Prediction of incident diabetic neuropathy using the monofilament examination: a 4-year prospective study. Diabetes Care 33(7): 1549-1554. 10.2337/dc09-1835
(11) Bakke A, Cooper JG, Thue G, et al. (2017) Type 2
diabetisk fotsår palperes det også etter puls i arteria dorsalis pedis og tibialis posterior, man vurderer huden og eventuelle feilstillinger på føttene. Risiko for fotsår deles inn i lav, moderat og høy, og defineres som vist i tabell 3.
Kan man forebygge fotsår og amputasjon? Det er vist at opptil 75% av alle fotsår kan forebygges med rimelig enkle tiltak som egenundersøkelse av føtter, fotstell, trykkavlastning og godt fottøy (26, 27). I regi av Helsedirektoratet er det laget kortfattede brosjyrer for hver grad av risiko; lav, moderat og høy risiko, som enkelt kan skrives ut fra Informasjon og råd om diabetes – fotpleie og sårbehandling - Helsedirektoratet Multidisiplinære fotsårteam har en essensiell rolle når pasienten først har fått et fotsår, og det er
diabetes in general practice in Norway 2005-2014: moderate improvements in risk factor control but still major gaps in complication screening. BMJ Open Diabetes Res Care 5(1): e000459. 10.1136/ bmjdrc-2017-000459
(12) Diabetic foot problems: prevention and management. NICE guideline. Updated October 2019. Available from www.nice.org.uk/guidance/ng19
(13) Lee JA, Halpern EM, Lovblom LE, et al. (2014) Reliability and validity of a point-of-care sural nerve conduction device for identification of diabetic neuropathy. PLoS One 9(1): e86515. 10.1371/journal. pone.0086515
(14) Tavakoli M, Quattrini C, Abbott C, et al. (2010) Corneal Confocal Microscopy: A novel noninvasive test to diagnose and stratify the severity of human diabetic neuropathy. Diabetes Care 33(8): 1792-1797. 10.2337/dc10-0253
(15) Bus SA, Sacco ICN, Monteiro-Soares M, et al. (2024) Guidelines on the prevention of foot ulcers in persons with diabetes (IWGDF 2023 update). Diabetes Metab Res Rev 40(3): e3651. 10.1002/dmrr.3651
(16) Armstrong DG, Boulton AJM, Bus SA (2017) Diabetic Foot Ulcers and Their Recurrence. New England Journal of Medicine 376(24): 2367-2375. 10.1056/ NEJMra1615439
(17) Riise HKR, Igland J, Graue M, et al. (2024) Decreasing lifetime prevalence of diabetes-related foot ulcers in Norway: repeated cross-sectional population-based surveys from the HUNT study (1995-2019). Front Endocrinol (Lausanne) 15: 1354385. 10.3389/ fendo.2024.1354385
(18) Ribu L, Birkeland K, Hanestad BR, et al. (2008) A longitudinal study of patients with diabetes and foot ulcers and their health-related quality of life: wound healing and quality-of-life changes. J Diabetes Complications 22(6): 400-407. 10.1016/j. jdiacomp.2007.06.006
(19) Hingorani A, LaMuraglia GM, Henke P, et al. (2016)
The management of diabetic foot: A clinical practice guideline by the Society for Vascular Surgery in collaboration with the American Podiatric Medical Association and the Society for Vascular Medi-
vist i meta-analyser at fotsårteam reduserer risikoen for amputasjon (28). En kartlegging fra 2015 viste at kun 17 av 41 spurte sykehus hadde et fotsårteam (29).
Konklusjon: Diabetes nevropati er en hyppig forekommende senkomplikasjon hos personer med diabetes. Norske data tyder på at fotunder søkelse nedprioriteres på årskontroller både i primærhelsetjenesten og spesialisthelsetjenesten. Monofilamenttesten har klare svakheter for å fange opp diabetes nevropati, men gir en god indikasjon på sensibilitet, og er en lett tilgjengelig og billig undersøkelse. Pasienter med diabetes nevropati bør fanges opp tidlig, spesielt for å iverksette tiltak for å redusere risikoen for fotsår og amputasjon.
cine. J Vasc Surg 63(2 Suppl): 3s-21s. 10.1016/j. jvs.2015.10.003
(20) Mizrak H, Hansen T, Andersen J, et al. (2022) Distal symmetrical polyneuropathy is present in all individuals with diabetes and foot ulcers - and does not associate with healing time. Journal of Diabetes and its Complications 36: 108353. 10.1016/j.jdiacomp.2022.108353
(21) Helsenorge.no. (2024) Amputasjoner blant personer med diabetes.
(22) Walsh JW, Hoffstad OJ, Sullivan MO, et al. (2016) Association of diabetic foot ulcer and death in a population-based cohort from the United Kingdom. Diabet Med 33(11): 1493-1498. 10.1111/dme.13054
(23) Ikonen TS, Sund R, Venermo M, et al. (2010) Fewer major amputations among individuals with diabetes in Finland in 1997-2007: a population-based study. Diabetes Care 33(12): 2598-2603. 10.2337/dc100462
(24) Kapelrud H (2006) [Lower-limb amputations and diabetes]. Tidsskr Nor Laegeforen 126(17): 2261-2263
(25) Kerr M, Barron E, Chadwick P, et al. (2019) The cost of diabetic foot ulcers and amputations to the National Health Service in England. Diabet Med 36(8): 995-1002. 10.1111/dme.13973
(26) van Netten JJ, Price PE, Lavery LA, et al. (2016) Prevention of foot ulcers in the at-risk patient with diabetes: a systematic review. Diabetes/Metabolism Research and Reviews 32(S1): 84-98. https://doi. org/10.1002/dmrr.2701
(27) Singh N, Armstrong DG, Lipsky BA (2005) Preventing foot ulcers in patients with diabetes. Jama 293(2): 217-228. 10.1001/jama.293.2.217
(28) Musuuza J, Sutherland BL, Kurter S, et al. (2020) A systematic review of multidisciplinary teams to reduce major amputations for patients with diabetic foot ulcers. J Vasc Surg 71(4): 1433-1446 e1433. 10.1016/j.jvs.2019.08.244
(29) Robberstad M, Bentsen SB, Berg TJ, et al. (2017) Diabetic foot ulcer teams in Norwegian hospitals. Tidsskr Nor Laegeforen 137(17). 10.4045/tidsskr.16.1001

Myelomatose affiserer hovedsaklig eldre pasienter. Vanlige symptomer er anemi, nedsatt nyrefunksjon, skjelettskade og hyperkalsemi. Artikkelen gjennomgår viktige generelle aspekter og tar spesielt for seg førstelinjebehandlingen ved myelomatose. Høydosebehandling med autogen stamcellestøtte står sentralt. CAR-T behandling kan utfordre stamcellestøtte, og nyere behandling kan redusere kortikosteroidbruken.
Frida Askeland, overlege, ph.d.-kandidat, Oslo Myelomatosessenter
Introduksjon
Myelomatose er en klonal plasmacellesykdom som kjennetegnes av et sykdomsbilde med anemi, nedsatt nyrefunksjon, skjelettskade og hyperkalsemi. I Norge er det omtrent 500 personer som får diagnosen hvert år og median alder ved diagnose er 72 år (1). På tross av at overlevelsen har økt betydelig de siste tre tiårene (2) vil de fleste pasienter oppleve gjentatte tilbakefall og nye behandlingslinjer før de tilslutt dør av sykdommen. De dypeste og mest langvarige remisjonene kommer i de første behandlingslinjene. Fravær av målbar sykdom (MRD negativitet) i benmargen er den dypeste responsen som kan oppnås med behandling (3) og den viktigste prognostiske markøren i myelomatose (4-6). MRD er nylig anbefalt å bruke som surrogatmarkør for progresjonsfri overlevelse i kliniske studier i myelomatose (7)
Generelt om behandling av myelomatose
Hva slags behandling man velger i første linje avhenger av om pasienten forventes å tåle toksisiteten av høydose kjemoterapi med autolog stamcellestøtte (HMAS), Figur 1. Det norske handlingsprogrammet for myelomatose anbefaler at «alle pasienter < 70 år, med mindre det foreligger kontraindikasjoner, bør tilbys HMAS og at friske motiverte pasienter > 70 år kan vurderes for dette» (8)
Øvrig plasmacellerettet behandling består som regel av en kombinasjonsbehandling med to, tre eller fire medikamenter med ulik virkningsmekanisme, der et av medikamentene stor sett alltid er et kortikosteroid. Det er godt dokumentert at kombinasjonsbehandling med fire medikamenter er mer effektivt enn med tre som igjen mer effektivt enn med to
Behandlingskrevende myelomatose
VRd indukjson-HMAS- VRd konsolidering og lenaldomid vedlikehold
(9, 10). Hva man velger avhenger av hva man har tilgang på, medikamentenes sikkerhetsprofil og pasientens komorbiditet. Behandlingen deles inn i sykluser som varer fra 21-35 dager avhengig av protokoll. Det gis i all hovedsak kontinuerlig behandling frem til tilbakefall av sykdommen eller til intolerable bivirkninger.
Både grunnsykdommen og plasmacellerettet behandlingen gir økt mottagelighet for å få infeksjoner (11) og infeksjoner er en av de vanligste årsakene til komplikasjoner og død under aktiv behandling av myelomatose (12). Vaksinasjon er derfor en viktig støttebehandling hos myelomatosepasienter. Alle skal få tilbud om årlig influensa og covid-19 vaksine og om pneumokokkvaksine hvert 6 år. Etter HMAS skal alle anbefales revaksinasjon (13). Videre skal de aller fleste pasienter bruke valaciklovir (500 mg daglig, per os)
til progresjon
Figur 1. Behandlingstilnærming på diagnosetidspunkt. HMAS= Høydose kjemoterapi med autolog stamcellestøtte. VRd=Bortezomib-lenalidomid-deksametason. D-Rd=Daratumumab-lenalidomiddeksametason.

som profylakse mot reaktivering av herpesvirus. Mange pasienter har hypogammaglobulinemi eller får dette som følge av behandlingen de mottar. Substitusjonsbehandling med immunglobuliner gis som regel etter en alvorlig eller flere enn én infeksjon med kapselkledde bakterier.
Myelomatosecellene infiltrerer skjelettet og mange pasienter har risiko for å patologiske frakturer. Derfor er det anbefalt at alle pasienter skal _behandles med bisfosfonat (zoledronsyre) og kalsium/d-vitamintilskudd som støttende behandling for å motvirke bentap og brudd (8)
Førstelinjebehandling for pasienter som skal ha høydosebehandling med autolog stamcellestøtte Behandlingen består av fem ulike faser; induksjon, stamcellehøsting, høydosebehandling, konsolidering og vedlikeholdsbehandling. Induksjonen består av fire sykluser med kombinasjonsbehandling. Etter dette mobiliseres stamceller fra benmargen med syklofosfamid og G-CSF slik at stamceller kan høstes fra perifer vene. Deretter legges pasienten inn på sykehus og mottar høydose melfalan og reinfusjon av egne stamceller. Når pasienten har kommet seg
etter høydosebehandlingen starter konsolideringen der pasienten igjen mottar 2-4 sykluser med den samme kombinasjonsbehandlingen som ble gitt i induksjonen. Tilslutt settes pasienten på vedlikeholdsbehandling frem til tilbakefall eller intolerable bivirkninger.
Standard første linje behandling for denne pasientpopulasjonen har vært induksjon og konsolidering med bortezomib, lenalidomid og deksametason (VRd) og lavdosert lenalidomid som vedlikeholdsbehandling. I desember 2023 ble resultantene fra EMN17/PERSEUS studien publisert i NEJM (14). Studien sammenlignet daratumumab (dara) kombinert med VRd med standardbehandlingen VRd. 709 pasienter ble randomisert til å enten motta behandling med dara-VRd i induksjon og konsolidering etterfulgt av dara-R som vedlikehold eller til VRd induksjon og konsolidering etterfulgt av R vedlikehold alene. Alle fikk HMAS etter de fire første syklusene og VRd ble administrert likt i begge armer.
Mediant stamcelleutbytte var lavere i dara-gruppen enn i VRd-gruppen, likevel mottok tilnærmet lik andel i begge grupper HMAS og tiden til
hematologisk rekonstitusjon etter HMAS var lignende i begge grupper.
Tillegg av dara ga bedre responsrater og dypere responser. Samlet respons var 96.6% i dara-gruppen mot 93.8% i VRd-gruppen. I dara-gruppen oppnådde 75% av pasientene fravær av målbar sykdom i benmargen (MRDnegativitet 10 -5) mot 47.5% i VRd gruppen. Median oppfølgingstid var 47.5 måneder og da hadde henholdsvis 14% av pasientene fått tilbakefall eller dødd i dara-gruppen mot 29% i VRd-gruppen. Median PFS var ikke nådd i noen av gruppene.
I begge gruppene opplevde de fleste pasientene uønskede hendelser (AE) av grad 3 eller 4. De hyppigst forekommende var nøytropeni, infeksjoner og trombocytopeni, som er vanlige komplikasjoner til grunnsykdommen og ved behandling av myelomatose. Det var flere alvorlige uønskede hendelser (SAE) i dara-gruppen enn i VRd-gruppen (57% versus 49%) men flere døde av alvorlige uønskede hendelser i VRd-gruppen enn i dara-gruppen (16 mot 13 dødsfall). Videre var det flere pasienter i VRd-gruppen som måtte slutte med alle studiemedisiner grunnet toksisitet enn i dara-gruppen (21% mot 9%). Dette skyldes i all
Figur 3. CAR-T-celle gjenkjenner myelomatose celle. BCMA=B-cell Maturation Antigen. CAR=Chimeric Antigen Receptor. CAR-T= Chimeric Antigen Receptor-T-Celle.
hovedsak at daratumumab er godt tolerert og at det var få som sluttet med dette medikamentet.
Disse resultatene vil med stor sannsynlighet endre behandlingsalgoritmen for pasienter med nydiagnostisert myelomatose som skal ha HMAS og det er allerede søkt FDA og EMA om markedsføringstillatelse.
CAR-T celleterapi utfordrer HMAS i første linje behandling av myelomatose
Kimær antigenreseptor (CAR) TCelleterapi er en celleterapi der man modifiserer gener i pasientens egne T-celler slik at T-cellene gjenkjenner spesifikke proteiner på kreftcellenes overflate (Figur 3). CAR-T celleterapien cilta-cel er godkjent av FDA og EMA til behandling av myelomatose i første tilbakefall (15). Cilta-cel er rettet mot proteinet BCMA som utrykkes på myelomatosecellene og det har vist god effekt på progresjonsfri overlevelse sammenlignet med standard behandling (16, 17).
CARTIUDE-6 er en global randomisert studie der man sammenligner dara-VRd etterfulgt av cilta-cel og lenalidomid vedlikehold mot
standardbehandlingen dara-VRd induksjon etterfulgt av HMAS, daraVRd konsolidering og lenalidomid vedlikehold. Det primære endepunktet er progresjonsfri overlevelse. Det er flere norske pasienter med i studien.
Førstelinjebehandling for pasienter som ikke skal ha HMAS Daratumumab i kombinasjon med lenalidomid og deksametason (dara-Rd) som kontinuerlig behandling til pasienter med myelomatose som ikke er aktuelle for HMAS, ble godkjent av EMA i 2019. Godkjenningen er basert på resultatene fra MAIA studien (18, 19), en randomisert fase 3 studie som sammenlignet daraRd mot standardbehandlingen Rd og viste at å legge til daratumumab gir en 35 % reduksjon i risiko for død sammenlignet med standardbehandlingen.
Daratumumab i kombinasjon med lenalidomid og deksametason til behandling av voksne pasienter med nydiganostisert myelomatose hvor autolog stamcelletransplantasjon ikke er aktuelt, kan tas i bruk i Norge fra 1. oktober 2024 etter beslutning fra Nye metoder.
Regimer som utfordrer daratumumab i kombinasjon med lenalidomid og deksametason Isatuximab er et monoklonalt CD38 antistoff og har samme virkningsmekanisme og effekt som daratumumab (20). I den nylig publiserte fase-3-studien IMROZ, der man behandlet pasienter med nydiagnostisert myelomatose som ikke var aktuelle for HMAS med VRd, med eller uten isatuximab, oppnådde gruppen som fikk isatuximab dypere responser og forlenget progresjonsfri overlevelse enn gruppen som fikk VRd alene. Imidlertid var alder>79 år et eksklusjonskriterium i studien (21). Det er sannsynlig at isatuximab i kombinasjon med VRD vil bli standardbehandling for denne populasjonen opp til 79 år.
REST-studien er en pågående akademisk fase 2-studie der målet er å evaluere effekten og sikkerheten til det nye behandlingsregimet isatuximab-bortezomib-lenalidomid og tidsbegrenset deksametason hos pasienter med nydiagnostisert myelomatose som ikke er aktuelle for HMAS. I studien har man tatt vekk deksametason etter 2 sykluser, da man vet at langvarig bruk av kortiko -
Tabell 1. The phase 3 trials MAIA and IMROZ: efficacy Studie Regime Pasienter, n Median alder Eksperimentell arm vs kontroll arm (referanse) ORR,
R=Lenalidomid. D=Deksametason. Dara=Daratumumab. V=Bortezomib. Isa=Isatuximab. ORR=Overall response rate. MRD=Measurable residual disease. Neg=Negative. PFS=Progression-free survival. Mo=Months. HR=Hazard ratio.
steroider øker pasienters mottagelighet for infeksjoner og at infeksjoner er den viktigste årsaken til komplikasjoner og tidlig død hos eldre pasienter med myelomatose (22). Studien er ferdig rekruttert og 51 pasienter er inkludert. Median alder er 77 år. Studien finner at isatuximab sammen med bortezomib, lenalidomid og kortvarig deksametason har en tolerabel sikkerhetsprofil. Ved median oppfølging på 23 måneder har alle pasienten respondert på behandlingen og 35.3% alle pasientene har oppnådd MRD negativ komplett
Referanser
1. Norway CRo. Cancer in Norway 2022: Cancer incidence, mortality, survival and prevalence in Norway. Oslo, Norway: Cancer Registry of Norway; 2022.
2. Langseth ØO, Myklebust TÅ, Johannesen TB, Hjertner Ø, Waage A. Incidence and survival of multiple myeloma: a population-based study of 10 524 patients diagnosed 1982–2017. Br J Haematol. 2020;191(3):418-25.
3. Kumar S, Paiva B, Anderson KC, Durie B, Landgren O, Moreau P, et al. International Myeloma Working Group consensus criteria for response and minimal residual disease assessment in multiple myeloma. Lancet Oncol. 2016;17(8):e328-e46.
4. Munshi NC, Avet-Loiseau H, Rawstron AC, Owen RG, Child JA, Thakurta A, et al. Association of Minimal Residual Disease With Superior Survival Outcomes in Patients With Multiple Myeloma: A Meta-analysis. JAMA Oncol. 2017;3(1):28-35.
5. Lonial S, Anderson KC. Association of response endpoints with survival outcomes in multiple myeloma. Leukemia. 2014;28(2):258-68.
6. Munshi NC, Avet-Loiseau H, Anderson KC, Neri P, Paiva B, Samur M, et al. A large meta-analysis establishes the role of MRD negativity in long-term survival outcomes in patients with multiple myeloma. Blood Adv. 2020;4(23):5988-99.
7. Administration USFD. Oncologic Drugs Advisory Committee (ODAC) Meeting 2024 [Available from: www.fda.gov/media/177652/download.
8. Schjesvold F, Tsykunova G, Guldbrandsen N, Haukås E, Rolke J, Hjertner Ø, et al. Maligne blodsykdommer
respons. Data for progresjonsfri overlevelse kommer til å bli presentert siste kvartal 2024.
Konklusjon:
Monoklonale CD38 antistoff som behandling i første linje er gunstig for alle pasienter med myelomatose. Tillegg av monoklonale CD38 antistoffer til standardbehandling gir forlenget progresjonsfri overlevelse for hele populasjonen og økt totaloverlevelse for pasientpopulasjonen som ikke er aktuell for HMAS. Med lengre oppfølgingstid vil dette med
- handlingsprogram. Kaptittel 8: Myelomatose: Norsk selskap for hematologi; 2023 [Available from: https:// www.helsedirektoratet.no/retningslinjer/maligneblodsykdommer--handlingsprogram/myelomatose.
9. Rajkumar SV. Multiple myeloma: 2022 update on diagnosis, risk stratification, and management. Am J Hematol. 2022;97(8):1086-107.
10. Rodriguez-Otero P, Paiva B, San-Miguel JF. Roadmap to cure multiple myeloma. Cancer Treat Rev. 2021;100:102284.
11. Mohty M, Cavo M, Fink L, Gonzalez‐McQuire S, Leleu H, Mateos MV, et al. Understanding mortality in multiple myeloma: Findings of a European retrospective chart review. 2019;103(2):107-15.
12. King T. Steroid-associated side effects: a symptom management update on multiple myeloma treatment. Number 2/April 2017. 2017;21(2):240-9.
13. Folkehelseinstituttet. Vaksinasjonsveilederen for helsepersonell [Available from: https://www.fhi.no/va/ vaksinasjonsveilederen-for-helsepersonell/vaksinasjon-ved-sykdom/vaksinasjon-ved-medfodt-immunsv ikt/?term=#stamcelletransplantasjon-inkludert-hmas.
14. Sonneveld P, Dimopoulos MA, Boccadoro M, Quach H, Ho PJ, Beksac M, et al. Daratumumab, Bortezomib, Lenalidomide, and Dexamethasone for Multiple Myeloma. N Engl J Med. 2023.
15. agency Em. Carvykti Product Information 2024 [Available from: https://www.ema.europa.eu/en/documents/product-information/carvykti-epar-productinformation_en.pdf.
16. Berdeja JG, Madduri D, Usmani SZ, Jakubowiak A, Agha M, Cohen AD, et al. Ciltacabtagene autoleucel,
stor sannsynlighet også gjelde for HMAS populasjonen. Kontinuerlig behandling med monoklonale CD38 antistoffer tolereres godt i alle aldersgrupper og det er få pasienter som stopper denne behandling på grunn av bivirkninger. Behandlingskombinasjoner der kortikosteroider fjernes raskt eller ikke inngår i det hele tatt, ser ut til å være trygt med tanke på effekt og vil helt sikkert redusere bivirkningstrykket pasientene opplever ved kontinuerlig behandling.
a B-cell maturation antigen-directed chimeric antigen receptor T-cell therapy in patients with relapsed or refractory multiple myeloma (CARTITUDE-1): a phase 1b/2 open-label study. The Lancet. 2021;398(10297):314-24.
17. San-Miguel J, Dhakal B, Yong K, Spencer A, Anguille S, Mateos M-V, et al. Cilta-cel or standard care in lenalidomide-refractory multiple myeloma. N Engl J Med. 2023;389(4):335-47.
18. Facon T, Kumar S, Plesner T, Orlowski RZ, Moreau P, Bahlis N, et al. Daratumumab plus Lenalidomide and Dexamethasone for Untreated Myeloma. N Engl J Med. 2019;380(22):2104-15.
19. Facon T, Kumar SK, Plesner T, Orlowski RZ, Moreau P, Bahlis N, et al. Daratumumab, lenalidomide, and dexamethasone versus lenalidomide and dexamethasone alone in newly diagnosed multiple myeloma (MAIA): overall survival results from a randomised, open-label, phase 3 trial. The Lancet Oncology. 2021;22(11):1582-96.
20. Moreno L, Perez C, Zabaleta A, Manrique I, Alignani D, Ajona D, et al. The mechanism of action of the antiCD38 monoclonal antibody isatuximab in multiple myeloma. 2019;25(10):3176-87.
21. Facon T, Dimopoulos M-A, Leleu XP, Beksac M, Pour L, Hájek R, et al. Isatuximab, Bortezomib, Lenalidomide, and Dexamethasone for Multiple Myeloma. N Engl J Med. 2024.
22. Askeland FB, Haukås E, Slørdahl TS, Klostergaard A, Alexandersen T, Schjøll D, et al. Replacing Steroids in Transplant-Ineligible Multiple Myeloma: The Phase 2 Isatuximab-Bortezomib-Lenalidomide-Dexamethasone Rest Study. Blood. 2023;142:3381.
Tezspire er indisert som tillegg til vedlikeholdsbehandling hos voksne og ungdom i alderen 12 år og eldre med alvorlig astma som er utilstrekkelig kontrollert til tross for høye doser inhalasjonskortikosteroider i tillegg til et annet legemiddel for vedlikeholdsbehandling.1
Utvalgt sikkerhetsinformasjon:
Vanlige bivirkninger er faryngitt, utslett, artralgi, reaksjon på injeksjonsstedet.1 Skal ikke brukes til å behandle akutte astmaeksaserbasjoner.1

Subkutan injeksjon
Et sentralt angrepspunkt i behandlingen av alvorlig astma2,3
TEZSPIRE (tezepelumab) er det første og eneste astmalegemiddelet som blokkerer TSLP* høyt oppe i inflammasjonskaskaden og virker på tvers av fenotyper og uavhengig av biomarkørnivå.2-6**
Vil du lære mer om et sentralt angrepspunkt for behandling av alvorlig astma?
*TSLP =Tymisk stromalt lymfopoietin **f.eks. blodeosinofiler, eosinofiler i luftvegsslimhinnene, IgE, FeNO, IL-5 og IL-13
Referanser
1. Tezspire SPC 4.1, 5.1, 4.8, 4.4. 2.Corren J, Parnes JR, Wang L et al. Tezepelumab in Adults with Uncontrolled Asthma. N Engl J Med 2017;377:936-46. 3. Menzies-Gow A, Corren J, Bourdin A et al. Tezepelumab in Adults and Adolescents with Severe, Uncontrolled Asthma Supplementary information. N Engl J Med 2021;384:1800-9. 4. Menzies-Gow A, Wechsler ME, Brightling CE. Unmet need in severe, uncontrolled asthma: can anti-TSLP therapy with tezepelumab provide a valuable new treatment option? Respir Res 2020;21:268. 5. Brusselle Guy, Koppelman GH. Biologic Therapies for Severe Asthma. N Engl J Med 2022;386:157-71. 6. Gauvreau GM, Sehmi R, Ambrose CS et al. Thymic stromal lymphopoietin: its role and potential as a therapeutic target in asthma. Expert Opin Ther Targets. 2020;24:777–92.

Indikasjon: Tezspire er indisert som tillegg til vedlikeholdsbehandling hos voksne og ungdom i alderen 12 år og eldre med alvorlig astma som er utilstrekkelig kontrollert til tross for høye doser inhalasjonskortikosteroider i tillegg til et annet legemiddel for vedlikeholdsbehandling. Dosering: Anbefalt dose: 210 mg s.c. hver 4. uke. Tezspire er til langtidsbehandling. Minst 1 gang årlig bør det vurderes om behandlingen skal fortsette, basert på nivået av astmakontroll. Ved glemt dose, skal denne administreres så fort som mulig. Deretter kan doseringen gjenopptas på neste planlagte administrasjonsdag. Dersom det allerede er tid for neste dose, skal den administreres som planlagt. Dobbel dose skal ikke administreres. Behandling skal initieres av lege med erfaring med diagnostisering og behandling av alvorlig astma. Vanlige bivirkninger: Faryngitt, utslett, artralgi, reaksjon på injeksjonsstedet. Forsiktighetsregler: Skal ikke brukes til å behandle akutte astmaeksaserbasjoner. Astmarelaterte symptomer eller eksaserbasjoner kan oppstå. Pasienten bør instrueres om å oppsøke lege hvis astmaen forblir ukontrollert eller forverres. Brå seponering av kortikosteroider etter behandlingsoppstart anbefales ikke. Eventuell dosereduksjon av kortikosteroid bør skje gradvis under legeoppsyn. Overfølsomhetsreaksjon/anafylaksi kan oppstå innen noen timer, men også noen dager, etter administrering. Anamnese med anafylaksi (ikke relatert til Tezspire ) kan være en risikofaktor.Pasienter skal overvåkes i passende tid etter administrering. Alvorlige infeksjoner bør behandles før oppstart av behandling. Ved utvikling av alvorlig infeksjon under behandling, bør behandlingen seponeres inntil denne er over. Pasienten skal informeres om å oppsøke øyeblikkelig legehjelp ved tegn/symptomer på kardiovaskulær hendelse. Ved utvikling av alvorlig kardiovaskulær hendelse bør behandlingen seponeres inntil den akutte hendelsen er stabilisert. Helmintinfeksjon bør behandles før behandlingsoppstart. Hvis pasienten smittes under behandling og ikke responderer på antihelmintika, skal Tezspire seponeres til infeksjonen går over. Levende, svekkede vaksiner skal unngås. Graviditet og amming: Bruk under graviditet bør unngås med mindre forventet nytte for den gravide oppveier mulig risiko for fosteret. Risiko for nyfødte som ammes de første dagene etter fødsel kan ikke utelukkes. Basert på fordel av amming for barnet/fordel av behandling for mor må det tas en beslutning om Tezspire skal avsluttes/avstås fra i denne perioden. Pakninger og priser: Injeksjonsvæske, oppløsning i ferdigfylt penn (210 mg): 1 stk: kr. : 15 053,40. Injeksjonsvæske, oppløsning i ferdigfylt sprøyte (210 mg): 1 stk. kr. : 15 053,40
Reseptgruppe: C. Refusjon: H-resept.
Refusjonsberettiget bruk: Der det er utarbeidet nasjonale handlingsprogrammet/nasjonal faglig retningslinje og/eller anbefalinger fra RHF/LIS spesialistgruppe skal rekvirering gjøres i tråd med disse. Vilkår: 216 Refusjon ytes kun etter resept fra sykehuslege eller avtalespesialist. Tezspire inngår i RHF anbefalinger for alvorlig ukontrollert T2-høy astma. For legemidlene under skal denne rangering legges til grunn.
Voksne > 18 år:
1.valg: Fasenra (benralizumab) AstraZeneca AS
Ungdom: 12-18 år
1. valg: Tezspire (tezepelumab) AstraZeneca AS 2.valg: Tezspire (tezepelumab) AstraZeneca AS
2. valg: Nucala (mepolizumab) GlaxoSmithKline AS 3.valg: Nucala((mepolizumab) GlaxoSmithKline AS
3. valg: Dupixent (dupilumab) Sanofi-Aventis Norge AS 4.valg: Dupixent (dupilumab) Sanofi-Aventis Norge AS
Rangeringen skal følges ved oppstart og endring av behandling. Dersom pasienten av medisinske årsaker ikke kan bruke den rimeligste behandlingen, skal disse årsakene dokumenteres i pasientens journal. Komorbiditet skal i utgangspunktet ikke tillegges vekt ved valg av medikament. Vedtaket gjelder i perioden 01.09.2024- 31.03.2026
Beslutning i Beslutningsforum for nye metoder 18.03.2024. Tezepelumab (Tezspire) innføres som tillegg til vedlikeholdsbehandling ved alvorlig astma med eosinofili hos voksne og ungdom i alderen 12 år og eldre som er utilstrekkelig kontrollert til tross for høye doser inhalasjonskortikosteroider i tillegg til et annet legemiddel for vedlikeholdsbehandling.
For fullstendig informasjon, les TEZSPIRE SPC på www.felleskatalogen.no NO-12883-09-2024-TEZ
Norske indremedisinere har stor glede og nytte av Indremedisineren (IM). IM bidrar til faglig utvikling og er både et viktig bindeledd i miljøet, og mellom styret i NIF og det enkelte medlem.
Redaksjonen og alle bidragsytere jobber på dugnad. Dere annonsører bidrar til at vi kan utgi et flott IM og at vi kan drifte indremedisineren.no, der trafikken er sterkt økende. Uten deres hjelp hadde det ikke vært mulig.
Vi håper det gode samarbeidet fortsetter, og at dere blir med videre!





































A. Aalberg Vikjord
Kols er en utbredt tilstand forbundet med høy sykelighet og dødelighet. Det finnes ingen kurativ behandling, og utover primærforebygging har vi kun symptomlindrende behandling å tilby disse pasientene. Det er et stort behov for mer presis og effektiv behandling av denne pasientgruppen. Kan ny kunnskap om lungefunksjonsutvikling flytte forskningsfronten?
Sigrid A. Aalberg Vikjord, LIS, PhD, Lungemedisinsk avdeling, St. Olavs hospital og forsker, HUNT forskningssenter, Fakultet for medisin og helsevitenskap, NTNU
Introduksjon
Obstruktive lungesykdommer, herunder astma og kols, er sykdommer med høy utbredelse både i Norge og på verdensbasis. Forekomsten av kols i Norge ligger rundt 6-7% hos voksne over 40 år, og tilsvarende tall for astma er 5-6% (1, 2). På verdensbasis er kols den tredje ledende dødsårsaken, i Norge den fjerde ledende. Kols er dessuten assosiert med betydelig sykdomsbyrde og helsetjenestebehov (3). Det siste tiåret har riktignok andelen som lever med kols i befolkningen gått ned.
Dette kan i hovedsak forklares av at vi røyker mindre enn før. Likevel vil forekomsten av kols holde seg høy i mange år fremover, på grunn av økende antall eldre i befolkningen. Utover Norges grenser observeres det økende røykeforekomst flere steder – også hos unge, særlig i fremvoksende økonomier og land med aggressiv markedsføring av tobakksprodukter (3). Den globale prevalensen er anslått å øke med 23 % innen 2025 (4).
En hovedutfordring ved kols er at man ved diagnosetidspunktet oftest har en etablert og til dels irreversibel luftveis- og parenchymskade. Årsaken til at dette oppdages for sent er sammensatt. Ett av problemene er at gullstandarden for diagnostisering av kols, spirometri, ikke er i stand til å påvise tidlige forandringer i luftveiene. Derfor vil pasienter med obstruktive luftveissymptomer, men med normal spirometri, kunne gå i flere år med ubehandlet inflammasjon i luftveiene før dette vil vises ved objektive undersøkelser. Oscillometri
vil kunne fange opp patologiske forandringer på et tidligere tidspunkt, men er foreløpig ikke bredt etablert i klinisk praksis.
I dag har vi ingen kurativ behandling ved kols, og behandlingen er i hovedsak symptomrettet. Utover behandlingsalternativer for utvalgte pasienter, som oksygenbehandling, non-invasiv ventilasjon og lungevolumreduksjon, finnes det ingen behandling som er vist å redusere mortaliteten (3). Aktuelle medikamenter er i hovedsak bronkodilaterende og antiinflammatoriske midler, fortrinnsvis i form av inhalasjoner. Trippel inhalasjonsbehandling (en kombinasjon av langtidsvirkende beta-agonist, muskarinantagonist og inhalert kortikosteroid) har i randomiserte studier vist reduksjon av mortalitet, spesielt kardiovaskulær mortalitet (5). Imidlertid kreves langtidsdata for å kunne bekrefte disse funnene. Bronkodilaterende behandling har vært anerkjent som effektivt ved obstruktive lungesykdommer så tidlig som i 1903. Salbutamol, under handelsnavnet Ventoline, kom på markedet i 1969. Siden slutten av 60-tallet har vi behandlet kols med lignende tilnærming, altså i form av hurtig- og langtidsvirkende bronkodilaterende behandling, som monoterapi med adrenergika eller antikolinergika, eller i kombinasjon. For astma har utviklingen bydd på enkelte store gjennombrudd, som introduksjonen av inhalerte kortikosteroider på 70og 80-tallet, samt den biologiske revolusjonen for pasienter med alvorlig astma det siste tiåret. Også
mot kols er biologisk behandling på trappene, men foreløpig evidens viser effekt kun for et liten andel pasienter med eosinofilt drevet luftveisinflammasjon (6). Mangelen på nye terapeutiske muligheter er slående, til tross for stor innsats på forskningsfronten over mange år med økende forståelse for de underliggende patofysiologiske mekanismene. Vi er foreløpig langt unna presisjonsmedisin for den enkelte kolspasient, og det trengs alternative tilnærminger.
Røyking er den viktigste prediktoren for utvikling av kols, men ikke alle som røyker får kols, og rundt 20 % av personer med kols har aldri røkt (7). Røyking som konfunderende faktor er så dominerende – og utbredelsen av aktiv og passiv røyking har historisk sett vært så høy – at forskning på andre risikofaktorer har vært vanskelig. Når vi nå ser en nedgang i antallet røykere, vil andre risikofaktorer antagelig gjøre seg gjeldende. Genetisk sårbarhet sammen med sosiale helseforskjeller og ugunstig helseatferd er kjente risikofaktorer. Betydningen av faktorer som astma i barndommen og luftveisinfeksjoner i tidlige leveår er derimot uavklart, delvis på grunn av bi-direksjonaliteten i slike sammehenger. Klimaendringer og økt urbanisering spås også å bli en viktig faktor for utvikling av obstruktive lungesykdommer (8).
For å komme videre i disse problemstillingene er det interessant å se på utvikling av lungefunksjon i et livsløpsperspektiv. Det er en viss heterogenitet i lungefunksjonsutviklingen, hvor enkelte mønstre er forbundet

Figur 1: Dannelsen av den respiratoriske divertikkelen i embryoets uke 4, på ventrale vegg av tarmrøret (Kilde: Sadler T W, 2006, Langman’s medical embryology, 10th edition. Baltimore, USA: Lippincott Williams & Wilkins). Retrykkes iht CC-BY.

Figur 2: Stadier i embryonal lungeutvikling. Lungemorfologi i de fem ulike stadier i lungeutviklingen hos mennesker: embryonisk, pseudoglandulær, kanalikulær, sakkulær and alveolær. Forkortelser: pcw, post-conception weeks. Kilde: Nikolic et al., Development 2018. Retrykkes iht CC-BY.
med økt risiko for kols. De siste årene har konseptet «lung function trajectories», noe klønete oversatt med «utviklingskurver av lungefunksjon», fått økt oppmerksomhet både blant klinikere og forskere. Denne artikkelen vil oppsummere eksisterende kunnskapsgrunnlag, samt skissere noen mulige veier videre.
Lungeutvikling i fosterlivet Utviklingen av lungene starter rundt uke 4 i fosterlivet, og fortsetter frem
til ung voksenalder. Under organogenesen i første trimester dannes organer fra de tre primære kimbladene: endoderm, mesoderm og ektoderm. De endodermale lungeknoppene oppstår som en utvekst fra den ventrale veggen av tarmrøret, under det som senere danner trakea (Fig. 1). Over de neste par ukene deler disse primære lungeknoppene seg inn i sekundære lungeknopper, som senere blir lungelapper, og tertiære lungeknopper, som danner lunge -
segmentene. Epitelrør dannes fra uke 5 under den pseudoglandulære fasen av lungevekst, etterfulgt av omfattende forgrening av luftveiene i den kanalikulære fasen fra uke 16 (Fig. 2). Alveolarisering av omkringliggende mesenkymale celler skjer i den sakkulære og alveolære fasen, og den sistnevnte fasen fortsetter parallellt med mikrovaskulær modning gjennom de to første tiårene av livet. Dette tydeliggjør at denne utviklingsfasen er sårbar for ekstern

Figur 3: Utviklingskurver av lungefunksjon fra barndom til voksenalder. Catch-up og vekstavvik kan forekomme hos barn og ungdom, mens akselerert lungefunksjonstap ses i voksen alder. Kilde: Melén et al, Lancet 2024. Retrykkes iht CC-BY.
påvirkning, og at lungefunksjon kan påvirkes av vertsfaktorer eller ytre påvirkning.
Utvikling av lungefunksjon
Den normale lungefunksjonens forløp gjennom livsløpet har tre faser: en vekstfase som varer fra fødsel til tidlig voksen alder, et toppnivå eller platå-fase som nås rundt tyveårsalder, og en fase med tap av lungefunksjon som skyldes normal aldring av lungene (9). Allerede på 70-tallet identifiserte Burrows og kolleger en periode fra sen barndom og ungdomsår der lungemodning gav betydelig økning av FEV1 og FVC uavhengig av høydevekst, og en platåfase fra sene tenår til midten av 30-årene med relativt lite endring i disse parametrene (10). De fant at det fysiologiske fallet i FEV1 og FVC antagelig begynner i midten av 30-årene, selv om nylige studier peker på at dette fallet kan starte enda tidligere. Utviklingsfasene kan endres av miljømessige, kliniske og genetiske faktorer – i positiv og negativ retning (11). En rekke studier har vist at det er flere potensielle utviklingsforløp i disse fasene, og at noen av dem kan ha betydelige implikasjoner for sykelighet og dødelighet (12). Individer med lungefunksjonsutvikling under normalen har økt forekomst av kardiovaskulære, metabolske og psykiske lidelser (12), mens de med
supranormale verdier viser tegn til sunn aldring.
Siden 1970-tallet har man postulert at kols er kjennetegnet ved et akselerert tap av forsert ekspiratorisk volum etter ett sekund (FEV1) over tid. Et nøkkelstudie ved Peter Lange og kolleger, publisert i 2015 (13), introduserte en ny måte å tenke på lungefunksjonsutvikling. De fulgte i overkant av 650 individer rekruttert fra tre store befolkningsundersøkelser over tid, og fant at kols kunne utvikle seg på flere ulike måter: Ikke bare ved akselerert tap, men også hos individer med normalt fall i lungefunksjon over tid, men som hadde suboptimal lungefunksjon som utgangspunkt. Denne enkle, men elegante studien konkluderte med at lav FEV1 i tidlig voksenalder er en viktig risikofaktor for utvikling av kols, og at akselerert tap ikke er en obligat del av patogenesen.
Senere studier som har fulgt individer fra barndom og inn i voksenalder har identifisert en rekke ulike måter lungefunksjon kan utvikle seg på (Fig. 3) (9). Disse utviklingsbanene er et resultat av dynamiske, og ofte kumulative, gen-miljø-interaksjoner gjennom livsløpet. Slike interaksjoner, forårsaket av alt fra røyking til virusinfeksjoner, gir epigenetiske endringer som påvirker genekspresjon og vertens immunologiske hukommelse (9).
Individuell plastisitet i lungefunksjonsutvikling
Det mest spennende mønsteret blant disse banene er kalt «lung function catch-up», eller innhenting av lungefunksjon. Individer som følger dette utviklingsmønsteret har suboptimal lungefunksjon som barn og ungdom, men henter dette inn og ender opp med en normal lungefunksjon som voksne. Hvorfor noen individer gjennomgår catch-up, mens andre ikke gjør det, er gjenstand for intens akademisk oppmerksomhet. Ved å kartlegge likheter og forskjeller mellom disse ulike gruppene vil man gjennom tidlig intervensjon kunne bli i stand til å legge til rette for slik innhenting av lungefunksjon. Dette vil være viktig for barn som av ulike grunner har nedsatt lungefunksjon, for eksempel barn som har hatt alvorlig astma, hyppige luftveisinfeksjoner, eller som er født for tidlig. Disse gruppene vil naturligvis skille seg fra hverandre også internt, på grunn av ulik patogenese og risikofaktorer. Tanken er like fullt besnærende: Hvis man kan identifisere en driver av «catch-up»-effekten, vil dette være egnet som et terapeutisk mål? Kan man oppnå samme effekt med målrettet behandling til barn i risikogrupper eller for voksne med redusert lungefunksjon?
En av utfordringene med forskning på catch-up-fenomenet er mangelen på passende kohorter. Svært få befolkningsundersøkelser har repeterte lungefunksjonsmålinger på samme individer fra barndom til voksen alder, og det vil ta flere tiår å samle inn data hvis man skulle ha planlagt et slikt studium prosektivt. Noen få unntak, som HUNT-undersøkelsen i Trøndelag, og den australske Tasmanian Longitudinal Health Study (TAHS), finnes allerede. Disse store befolkningsundersøkelsene er gullgruver for forskere som er opptatt av lungefunksjonsutvikling.
Andre utviklingsbaner av klinisk interesse
Det er ikke bare catch-up som er av klinisk interesse. Det er nyttig å studere utviklingskurver av lungefunksjon også hos voksne, spesielt der man har data både før og etter utviklingen av kols. Det er stor interesse rundt identifisering av biomarkører for ulike utviklingskurver, spesielt de som kan predikere en tidlig risiko for utvikling av kols. Den beste kolsbehandlingen er forebygging, og har man en tidlig markør på risiko, vil man kunne gi målrettet informasjon til individet det gjelder. En foreløpig uprøvd tilnærming
Referanser
1. Folkehelseinstituttet. Helsetilstanden i Norge 2018. [Public Health in Norway 2018] Rapport 2018. Oslo; 2018.
2. Melbye H, Helgeland J, Karlstad O, Ariansen I, Langhammer A, Wisloff T, et al. Is the Disease Burden from COPD in Norway Falling off? A Study of Time Trends in Three Different Data Sources. Int J Chron Obstruct Pulmon Dis. 2020;15:323-34.
3. Global Initiative for Chronic Obstructive Lung Disease (GOLD). Global Strategy for Prevention, Diagnosis and Management of COPD: 2024 Report. 2024.
4. Boers E, Barrett M, Su JG, Benjafield AV, Sinha S, Kaye L, et al. Global Burden of Chronic Obstructive Pulmonary Disease Through 2050. JAMA Netw Open. 2023;6(12):e2346598.
5. Rabe KF, Martinez FJ, Ferguson GT, Wang C, Singh D, Wedzicha JA, et al. Triple Inhaled Therapy at Two Glucocorticoid Doses in Moderate-to-Very-Severe COPD. N Engl J Med. 2020;383(1):35-48.
Ligger svaret i proteinsammenstningen vår?
er å behandle personer før de får spirometrisk målbar sykdom, såkalt pre-kols, som kjennetegnes av røykeanamnese og obstruktive luftveissymptomer, men fravær av obstruktiv ventilasjonsinnskrenkning ved spirometri. Det er vist at disse individene har høyere risiko for utvikling av hjerte-karsykdom, samt høyere mortalitet, på lik linje med personer med manifest kols (14).
Veien videre: ligger svaret i proteinsammensetningen vår? En utfordring knyttet til slike studier er mangelen på retning – hva skal man studere, og hva skal man se etter? Det er gjort en rekke studier på genetiske varianter som medfører økt risiko for utvikling av kols, og det er kartlagt flere genpolymorfismer som gir økt risiko, blant annet gjennom økt sårbarhet for tobakkeksponering (15). Men man kan ha genetisk sårbarhet uten å utvikle sykdom. Dette handler ikke bare om eksponeringer, men også om hvordan genene uttrykkes – hvordan de pakkes sammen, metaboliseres og syntetiseres til proteiner. Multiomikk, studiet av hvordan disse prosessene henger sammen, er derfor en lovende vei videre i fagfeltet. Hvis man kan påvise spesielle proteinsignaler som
6. Singh D. Tezepelumab in adults with moderate to very severe chronic obstructive pulmonary disease (COPD): efficacy and safety from the phase 2a COURSE study. 2024.
7. Lamprecht B, McBurnie MA, Vollmer WM, Gudmundsson G, Welte T, Nizankowska-Mogilnicka E, et al. COPD in never smokers: results from the population-based burden of obstructive lung disease study. Chest. 2011;139(4):752-63.
8. Tran HM, Chuang TW, Chuang HC, Tsai FJ. Climate change and mortality rates of COPD and asthma: A global analysis from 2000 to 2018. Environ Res. 2023;233:116448.
9. Melen E, Faner R, Allinson JP, Bui D, Bush A, Custovic A, et al. Lung-function trajectories: relevance and implementation in clinical practice. Lancet. 2024;403(10435):1494-503.
10. Burrows B, Knudson RJ, Lebowitz MD. The relationship of childhood respiratory illness to adult obstructive airway disease. Am Rev Respir Dis. 1977;115(5):751-60.
er knyttet opp mot tidlig risiko for kols, vil man kunne følge opp disse individene tettere med behandling og livsstilsintervensjon som forhindrer irreversibel lungeskade.
Fremtidsperspektiver Studier av utviklingsbaner av lungefunksjon er et felt som er helt i startgropen. Det er mange ubesvarte spørsmål knyttet til utvikling av lungefunksjon, herunder hvordan man kan forebygge eller reversere suboptimal utvikling, hvordan man kan legge til rette for optimal lungefunksjonsutvikling, og hvordan man skal oversette dette til kunnskap som kan anvendes i klinikken, såkalt translasjonsforskning. Mekanistiske studier, for eksempel i form av multiomikk, vil kunne virke hypotesegenererende og peke ut veien videre. Norske populasjonsstudier står i en særstilling når det gjelder å besvare slike spørsmål, på grunn av brede, longitudinelle data med høy kvalitet, og mulighet for kobling til en rekke nasjonale registre. Veien mot persontilpasset medisin, samt tidlig diagnostikk og muligheten for mer treffsikker forebygging, ser mer farbar ut enn på lenge. Dette lover godt for en av våre store folkehelseutfordringer.
11. Agusti A, Melen E, DeMeo DL, Breyer-Kohansal R, Faner R. Pathogenesis of chronic obstructive pulmonary disease: understanding the contributions of gene-environment interactions across the lifespan. Lancet Respir Med. 2022;10(5):512-24.
12. Agusti A, Noell G, Brugada J, Faner R. Lung function in early adulthood and health in later life: a transgenerational cohort analysis. Lancet Respir Med. 2017;5(12):935-45.
13. Lange P, Celli B, Agusti A, Boje Jensen G, Divo M, Faner R, et al. Lung-Function Trajectories Leading to Chronic Obstructive Pulmonary Disease. N Engl J Med. 2015;373(2):111-22.
14. Wijnant SRA, De Roos E, Kavousi M, Stricker BH, Terzikhan N, Lahousse L, et al. Trajectory and mortality of preserved ratio impaired spirometry: the Rotterdam Study. Eur Respir J. 2020;55(1).
15. Casas-Recasens S, Cassim R, Mendoza N, Agusti A, Lodge C, Li S, et al. Epigenome-Wide Association Studies of COPD and Lung Function: A Systematic Review. Am J Respir Crit Care Med. 2024.

Antallet eldre mennesker øker stadig, og med økt alder øker også risikoen for å utvikle aldersrelaterte sykdommer som demens. Med alderen fungerer mitokondriene dårligere, samtidig svekkes mekanismene for å opprettholde deres funksjonalitet, som mitofagi. Forskning har vist at visse naturlige små molekyler potensielt kan motvirke disse aldersrelaterte endringene.
Nikolai J. Skaar, MSc-student NMBU
Shuqin Cao, PhD, Akershus universitetssykehus
Hilde Nilsen, PhD, UiO, og Oslo Universitessykehus
Jon Storm-Mathisen, MD, PhD, professor emeritus, Avdeling for molekylærmedisin, UiO Evandro F. Fang, PhD, Evandro Fang lab, Avdeling for Klinisk molekylærbiologi, UiO, og Akershus universitetssykehus Correspondence: e.f.fang@medisin.uio.no
J. Skaar Befolkningen blir eldre, men kan vi holde oss friske hele livet?




!Ifølge Folkehelseinstituttet (FHI) var den norske levealderen på rundt 52 år i 1900, og omkring 70 år i 1970, mens forventet levealder i 2022 var over 80 år (1). Denne økningen i levealderen har imidlertid også ført til en økning i aldersrelaterte sykdommer som demens og kreft. Dette legger et større press på helsesektoren og påvirker livskvaliteten til individene som er berørt. Bedre forståelse av aldringsbiologi er antatt å kunne bane vei for tiltak som kan øke tiden med god helse, «helsealder», slik at den nærmer seg levealderen.
En hypotese er at dette vil bidra til at flere eldre vil kunne klare seg selv og ha god livskvalitet enda lenger.
Det engelske begrepet «healthspan» har ennå ikke fått noe norsk uttrykk. Vi lanserer herved «helsealder», i kontrast til «levealder», også sier noe om hvordan man eldes. At helsealderen holder tritt med levealderen, er en forutsetning for bærekraftig alderdom.
Demens: En stor folkehelseutfordning
Aldring er en biologisk prosess som med tiden fører til gradvise og naturlige endringer hos alle levende organismer. Denne komplekse prosessen involverer genetiske faktorer, miljøpåvirkning og livsstilsfaktorer. Aldring manifesterer seg på cellenivå, i vev og i hele organismen, og øker risikoen for å utvikle ulike sykdommer. Demens er særlig problematisk;
omtrent 55 millioner mennesker lever med demens på verdensbasis, og antall pasienter med demens øker med 10 millioner hvert år. Alzheimers sykdom står for 60-70% av alle demenstilfeller og er dermed den vanligste formen for demens (2).
Hva skjer ved aldring?
Aldring fører til endringer som tidligere inndelt i 10 hovedkategorier, en gruppe aldringsbiologer har nylig oppdatert disse til 12:
1. Genomisk ustabilitet
2. Telomererosjon
3. Epigenetiske endringer
4. Tap av proteostase
5. Deregulert makroautofagi
6. Deregulert næringssansing
7. Mitokondriell dysfunksjon
8. Cellulær aldring (senescence)
9. Stamcelleutmattelse
10. Endret intercellulær kommunikasjon
11. Kronisk inflammasjon (betennelse)
12. Dysbiose (forstyrret mikrobiompåvirkning, vesentlig fra tarmflora) (3).
De 12 kjennetegnene reflekterer prosesser som fungerer dårligere i gamle individer, og hvor alle virker inn på hverandre. Siden vi arbeider med autofagi og mitokondriell dysfunksjon, fokuserer vi på disse.
Autofagi, cellens
«renovasjonssystem»
Cellene i kroppen har et «renovasjonssystem» som «avfallssorterer» skadde og døde organeller og andre
cellebestanddeler (4). Normalt blir alt avfallet nedbrutt og resirkulert så nesten ingenting går til spille uten at «søppel» hoper seg opp og skader cellen. Denne prosessen kalles autofagi («selvspising») og er avgjørende for å holde celler friske. Autofagi kan også angripe friske cellebestanddeler for å klare seg gjennom perioder med matmangel – sult. Vi har ulike betegnelser for prosessen avhengig av hvilke celledeler som blir «spist». Eksempelvis heter det derfor mitofagi (for mitokondrier), peksofagi (for peroksisomer) og lipofagi (for lipiddråper). Dette skjer ved at membraner, skyter ut fra det endoplasmatiske retikulum (ER) og legger seg rundt målorganellen. Disse kan snøres av fra ER og danne autofagosomer, dobbel-membran strukturene som omslutter den slukte, skadde organellen før den blir sendt videre. Denne organellen og omsetningen av den kan vi sammenligne med «søppelbilen» (Figur 1). Cellens «søppelbil» blir brukt for å klarere og renovere «søppelet» som oppstår innad i cellen, slik at den kan fungere som normalt. Når «søppelet» er organeller, kalles prosessen makroautofagi, i motsetning til mikroautofagi, hvor autofagosomene tar opp i seg blærer med deler av cytosol hvor det er skadde proteiner. Nedbrytningen av innholdet skjer ved at lysosomer, en organelle med proteolytiske og andre enzymer, smelter sammen med autofagosomer til autolysosomer (5) (Figur 2).

Figur 1. Illustrasjon av autofagosomer, og omsetningen av dem, som «renovasjonsbiler». Øverst vises avfallstoff, «søppel», som blir samlet opp i cellenes autofagosomer. «Renovasjonsbilen» til venstre er skadet og kan ikke plukke med seg søppelet på en korrekt måte; dermed vil søppel hopes opp i cellen (eksempel Tau og Amyloid-β). Studier har reist hypotesen om at forskjellige tiltak kan bedre «renovasjonen» (6, 7). Høyre del av figuren ble laget med bruk av Biorender.
Sviktende energiproduksjon – kan den bedres?
Mitokondriene er «cellens kraftverk». Mitokondriefunksjonen reduseres etter hvert som aldringsprosessen går sin gang, og kan føre til celleskade og celledød. Energisvikt som følge av mitokondriedysfunksjon er antatt å være delansvarlig for utvikling av flere nevrodegenerative sykdommer, slik som Alzheimers sykdom og Parkinsons sykdom (8-10). En korrelasjon mellom demens og mitokondriedysfunksjon har blitt påvist (11).
Et karakteristisk kjennetegn for Alzheimers sykdom er avleiringen av plakk som består av aggregert amyloid-β-peptid (A β), og av nevrofibrillære floker som består av aggregert fosforylert tau-protein. Disse substansene skader mitokondriefunksjonen samtidig som de hemmer mitofagi (8).
Vi har vist at stimulering av mitofagi motvirker avleiring av A β og tau hos forsøksdyr, samtidig som det bedrer kognitiv funksjon (9). Vår hypotese er derfor at det er ønskelig å kunne stimulere autofagi. Hvis vi ser på vår
«søppelbil»-analogi, så vil A β og tau kunne være «søppel» i vårt system i likhet med skadde organeller (Figur 1). Hvis dette hoper seg opp, vil ikke systemet kunne fungere som normalt og vil bryte sammen.
Små molekyler kan forbedre cellens gjenbruksprosess
Mange naturlig forekommende små molekyler har vist seg å stimulere autofagi og mitofagi, for eksempel NAD+, spermidin, rhapontigenin, urolitin A og kaempferol (Figur 2).
Disse ulike stoffene har forskjellige virkninger som alle bidrar til å øke mitofagi (12-16). De kan for eksempel stimulere produksjonen av lysosomer. Noen av dem kan også hemme mekanismer som bremser autofagi, som for eksempel «mammalian Target of Rapamycin» (mTOR). Slike små molekyler er potensielle utgangspunkt («lead compounds») for utvikling av effektive medikamenter.
Å øke mengden NAD+ har altså blitt vist å øke mitofagi hos dyr (10, 16).
NAD+ deltar i energiproduksjonen i mitokondriene og i mange andre reaksjoner i cellen. Nivået av dette
stoffet synker med alderen, noe som tyder på at tilskudd kan være gunstig. NAD+ dannes av vitamin B3, og kan økes ved inntak av f.eks. nikotinamid ribosid (NR) og nikotinamid mononukleotid (NMN). Økning av NAD+ fører til økning i aktivitet av proteiner som er avhengig av NAD+ som kofaktor. Et eksempel er sirtuin 1 (SIRT1) som bidrar til protein-deacetylering i cellekjernen (PGC-1α og FOXO3) og dermed aktivering av transkripsjonsfaktorer som øker produksjonen av komponenter i autofagiprosessen, SIRT1 er avhengig av NAD+ som et kosubstrat for å kunne fungere (10, 17).
Vil slike små molekyler kunne virke på mennesker?
Effekt av mitofagiaktivatorer har kun blitt påvist i dyreforsøk, og dette er ikke direkte overførbart til mennesker. Mange intervensjons studier indikerer likevel at stimulering av NAD+nivåene kan ha positiv effekt: I en nylig publisert studie ble NR gitt til menn i aldersgruppen 55 til 79 år. 15 pasienter fikk placebo-piller og 15 pasienter fikk piller med 500 mg NR (NIAGEN®, to ganger daglig), der 12

Figur 2. Forskjellige små molekyler og deres påvirkning på mitofagi. Figuren til venstre viser til skadde mitokondrier som kan fjernes ved økt mitofagi; autofagosom med skadde mitokondrier (røde) er smeltet sammen med et lysosom med proteolytiske enzymer (røde, orange) og danner et autolysosom hvor autofagosominnholdet fordøyes. Dette resulterer i at nye, sunne mitokondrier blir dannet som vist nederst til venstre (grønne). Teksten og de kjemiske strukturene til høyre viser til former av vitamin B3 (NR, NMN; se tekst) som kan øke mengden av NAD+ i cellen og derigjennom vil øke mitofagi, og til andre små molekyler som benytter andre komponenter for å stimulere mitofagi. Figuren ble laget med bruk av Biorender.
pasienter fra hver gruppe fullførte de seks ukene som de ble tilegnet å fullføre. Resultatene viste at NR stimulerte NAD+ metabolisme hos sunne, middelaldrene og eldre individer, men uten at bedring i funksjonsnivå eller kliniske endepunkter ble vist (18). En annen studie viste at i tillegg til å øke NAD+-nivåene, reduserte behandlingen pro-inflammatoriske cytokiner i serum og cerebrospinalvæske (19). Ved å studere celle- og dyremodeller har vår egen forskning bidratt til dette feltet gjennom en oppdagelse i 2016, gjort i professor Vilhelm A. Bohrs laboratorium ved National Institute of Ageing (NIA) i Baltimore, USA, med professor Hilde Loge Nilsen som en hovedsamarbeidspartner, der vi viste at medfødt defekt i DNA reparasjon fører til reduksjon av NAD+, og at dette gir oppgav til akselerert aldring i Ataxia Telangiectasia (A-T), en arvelig sykdom med rask aldring. Vi har
nå gjennomført en klinisk intervensjonsstudie der pasienter med A-T fikk tilskudd med NR i 2 år. Resultatene indikerte at langvarig bruk av NR var trygt og reduserte sykdomsprogresjonen, mens pasientene også opplevde forbedringer i motorikk og øyebevegelser (20).
Langtidseffektene av å stimulere NAD+ nivåene, enten med NR eller andre lignende kosttilskudd er fortsatt ukjente. Vår studie over to år er foreløpig den lengste. NAD+-supplementering kan ha positive effekter på cellulært nivå, inkludert stimulering av cellevekst (21) og reduksjon av cellulær senescens (en gradvis forverring av en organismes funksjoner forårsaket av alderdom). Med tanke på å motvirke aldringsprosessene er det nettopp dette vi ønsker, men det er viktig å også vurdere mulige konsekvenser, spesielt med tanke på
kreftutvikling. Om økning av NAD+ inhiberer eller aktiverer kreftceller er ikke utforsket nok. I Australia ble det gjennomført en fase-3 randomisert kontrollert studie der nikotinamid (vitamin B3, en annen type NAD+ forstoff) eller placebo ble gitt til 386 deltagere som hadde hatt minst to tilfeller av hudkreft i løpet av de fem foregående årene. Etter 12 måneder fant man færre nye tilfeller av hudkreft i intervensjonsgruppen enn hos dem som fikk placebo (22). Videre har dyrestudier vist at økning av NAD+ kunne motvirke kreftkakeksi (kakeksi er en svekkelsestilstand med høy forekomst blant kreftpasienter) (23). Overdosering bør imidlertid unngås, fordi en veldig høy NAD+ økning kan føre til dårligere helse, for eksempel hos pasienter med høy kardiovaskulær sykdomsrisiko (24). Men, det er ennå ikke avklart hvilken døgndose «NR/NMN/nikotinamid»
Effekt av mitofagiaktivatorer har kun blitt påvist i dyreforsøk, og dette er ikke direkte overførbart til mennesker. Mange intervensjonsstudier indikerer likevel at stimulering av NAD+-nivåene kan ha positiv effekt.
som representerer overdosering (f.eks. i forhold til alder, kjønn, og etnisitet; hvert enkelt individ kan ha en egen terskel).
Det finnes også andre interessante mitofagiaktivatorer å studere enn de som øker NAD+: Spermidin synes også å ha en positiv påvirkning på eldre individer med subjektiv kognitiv svikt (25). Vår studie fra 2019 på mus og nerveceller dyrket fra iPSC (induced pluripotent stem cells) fra Alzheimerpasienter viser at urolitin A hemmer cellulære kjennetegn på Alzheimers sykdom (9); nettopp publisert oppfølging viser at urolitin A også bedrer hjernefunksjon i Alzheimer-mus. I den nye forskningen ble det gitt 200 mg/ kg urolitin A hver dag i 7 måneder til mus med aggregert tau og amyloid- β Medisineringen av urolitin A viste en reduksjon av både tau og amyloid-β nivåer, og viste i tillegg en bedre læringsevne, reduserte inflammasjonsnivåer, og økt lysosom aktivitet hos disse musene (26). Videre indikerer flere kliniske studier av urolitin A på
Referanser
friske eldre at stoffet er biotilgjengelig og trygt, og at det har potensial for å motvirke muskelaldring og forbedre tarmflora hos mennesker (27-29). Kliniske tester på effekten av urolitin A mot Alzheimers (og andre former av demens) er nødvendig.
Konklusjon
Mennesker lever lenger, og som følge av dette øker sykdommer som er relatert til aldring. Et av «de 12 hovedkjennetegnene på aldring» er mitokondriell dysfunksjon som er antatt sentralt i sykdomsutviklingen ved blant annet Alzheimers, Parkinsons og andre nevrodegenerative sykdommer. En hypotese er at risikoen for å utvikle disse sykdommene kan reduseres ved å øke mitofagi, en prosess der skadede mitokondrier fjernes fra cellene. Flere naturlige små molekyler har vist seg å øke mitofagi, inkludert NR, NMN, urolitin A, rapamycin, spermidin, kaempferol og rhapontigenin. Vår hypotese er at disse stoffene kan bli brukt som modeller for utvikling av nye legemidler som
1. Bævre K. Forventet levealder Norge: Folkehelseinstutitsjonen (FHI); 2023 [Available from: http://www.fhi.no/he/folkehelserapporten/samfunn/levealder/?term=.
2. Organization WH. Dementia 2023 [Available from: www.who.int/ news-room/fact-sheets/detail/dementia.
3. Lopez-Otin C, Blasco MA, Partridge L, Serrano M, Kroemer G. Hallmarks of aging: An expanding universe. Cell. 2023;186(2):243-78.
4. Nieto-Torres JL, Hansen M. Macroautophagy and aging: The impact of cellular recycling on health and longevity. Mol Aspects Med. 2021;82:101020.
5. Yamamoto H, Zhang S, Mizushima N. Autophagy genes in biology and disease. Nat Rev Genet. 2023;24(6):382-400.
6. Mehrabani S, Bagherniya M, Askari G, Read MI, Sahebkar A. The effect of fasting or calorie restriction on mitophagy induction: a literature review. J Cachexia Sarcopenia Muscle. 2020;11(6):1447-58.
7. Wu NN, Tian H, Chen P, Wang D, Ren J, Zhang Y. Physical Exercise and Selective Autophagy: Benefit and Risk on Cardiovascular Health. Cells. 2019;8(11).
8. Bhatti JS, Kaur S, Mishra J, Dibbanti H, Singh A, Reddy AP, et al. Targeting dynamin-related protein-1 as a potential therapeutic approach for mitochondrial dysfunction in Alzheimer’s disease. Biochim Biophys Acta Mol Basis Dis. 2023;1869(7):166798.
9. Fang EF, Hou Y, Palikaras K, Adriaanse BA, Kerr JS, Yang B, et al. Mitophagy inhibits amyloid-beta and tau pathology and reverses cognitive deficits in models of Alzheimer’s disease. Nat Neurosci. 2019;22(3):401-12.
10. Reiten OK, Wilvang MA, Mitchell SJ, Hu Z, Fang EF. Preclinical and clinical evidence of NAD(+) precursors in health, disease, and ageing. Mech Ageing Dev. 2021;199:111567.
11. Moreira PI, Carvalho C, Zhu X, Smith MA, Perry G. Mitochondrial
kan bremse aldringsprosessen. Det er viktig å forstå både de positive og negative effektene av slike tilskudd før de kan bli anbefalt i bred klinisk praksis. Langsiktig sikkerhet og effektivitet er avgjørende faktorer som må undersøkes grundig.
Conflict of interests
E.F.F. is a co-owner of Fang-S Consultation AS (Organization number 931 410 717) and NO-Age AS (Organization number 933 219 127); he has an MTA with LMITO Therapeutics Inc (South Korea), a CRADA arrangement with ChromaDex (USA), a commercialization agreement with Molecule AG/VITADAO; he is a consultant to MindRank AI (China), NYO3 (Norway), and AgeLab (Vitality Nordic AS, Norway). H.L. is a co-owner of NO-Age AS (Organization number 933 219 127) and a consultant to AgeLab (Vitality Nordic AS, Norway). J.S.M. is a co-owner of NO-Age AS (Organization number 933 219 127).
dysfunction is a trigger of Alzheimer’s disease pathophysiology. Biochim Biophys Acta. 2010;1802(1):2-10.
12. Kim CJ, Shin SH, Kim BJ, Kim CH, Kim JH, Kang HM, et al. The Effects of Kaempferol-Inhibited Autophagy on Osteoclast Formation. Int J Mol Sci. 2018;19(1).
13. Hofer SJ, Simon AK, Bergmann M, Eisenberg T, Kroemer G, Madeo F. Mechanisms of spermidine-induced autophagy and geroprotection. Nat Aging. 2022;2(12):1112-29.
14. Yang J, Zhang W, Zhang S, Iyaswamy A, Sun J, Wang J, et al. Novel Insight into Functions of Transcription Factor EB (TFEB) in Alzheimer’s Disease and Parkinson’s Disease. Aging Dis. 2023;14(3):652-69.
15. Wang Y-X, Ke X-G, Wang C, Peng K-B, Wu H-Z, Yang Y-F. Rhapontigenin Improves Non-alcoholic Fatty Liver Disease by Inducing Lipophagy Through the ACOX1 and mTOR/ULK1 Pathways. Pharmacognosy Magazine. 2023;20(1):43-56.
16. Jayatunga DPW, Hone E, Khaira H, Lunelli T, Singh H, Guillemin GJ, et al. Therapeutic Potential of Mitophagy-Inducing Microflora Metabolite, Urolithin A for Alzheimer’s Disease. Nutrients. 2021;13(11).
17. Imai SI, Guarente L. It takes two to tango: NAD(+) and sirtuins in aging/longevity control. NPJ Aging Mech Dis. 2016;2:16017.
18. Martens CR, Denman BA, Mazzo MR, Armstrong ML, Reisdorph N, McQueen MB, et al. Chronic nicotinamide riboside supplementation is well-tolerated and elevates NAD(+) in healthy middle-aged and older adults. Nat Commun. 2018;9(1):1286.
19. Brakedal B, Dolle C, Riemer F, Ma Y, Nido GS, Skeie GO, et al. The NADPARK study: A randomized phase I trial of nicotinamide riboside supplementation in Parkinson’s disease. Cell Metab. 2022;34(3):396-407 e6.
20. Presterud R, Deng WH, Wennerstrom AB, Burgers T, Gajera B, Mattsson K, et al. Long-Term Nicotinamide Riboside Use Improves Coordination and Eye Movements in Ataxia Telangiectasia. Mov Disord. 2024;39(2):360-9. DOI: 10.1002/mds.29645.
21. Nacarelli T, Lau L, Fukumoto T, Zundell J, Fatkhutdinov N, Wu S, et al. NAD(+) metabolism governs the proinflammatory senescence-associated secretome. Nat Cell Biol. 2019;21(3):397-407.
22. Chen AC, Martin AJ, Choy B, Fernandez-Penas P, Dalziell RA, McKenzie CA, et al. A Phase 3 Randomized Trial of Nicotinamide for Skin-Cancer Chemoprevention. N Engl J Med. 2015;373(17):1618-26.
23. Beltra M, Pollanen N, Fornelli C, Tonttila K, Hsu MY, Zampieri S, et al. NAD(+) repletion with niacin counteracts cancer cachexia. Nat Commun. 2023;14(1):1849.
24. Ferrell M, Wang Z, Anderson JT, Li XS, Witkowski M, DiDonato JA, et al. A terminal metabolite of niacin promotes vascular inflammation and contributes to cardiovascular disease risk. Nat Med. 2024;30(2):424-34.
25. Wirth M, Benson G, Schwarz C, Kobe T, Grittner U, Schmitz D, et al. The effect of spermidine on memory performance in older adults at risk for dementia: A randomized controlled trial. Cortex. 2018;109:181-8.
26. Hou Y, Chu X, Park JH, Zhu Q, Hussain M, Li Z, et al. Urolithin A improves Alzheimer’s disease cognition and restores mitophagy and lysosomal functions. Alzheimers Dement. 2024.
27. Singh A, D’Amico D, Andreux PA, Dunngalvin G, Kern T, Blanco-Bose W, et al. Direct supplementation with Urolithin A overcomes limitations of dietary exposure and gut microbiome variability in healthy adults to achieve consistent levels across the population. Eur J Clin Nutr. 2022;76(2):297-308.
28. Liu S, D’Amico D, Shankland E, Bhayana S, Garcia JM, Aebischer P, et al. Effect of Urolithin A Supplementation on Muscle Endurance and Mitochondrial Health in Older Adults: A Randomized Clinical Trial. JAMA Netw Open. 2022;5(1):e2144279.
29. Faitg J, D’Amico D, Rinsch C, Singh A. Mitophagy Activation by Urolithin A to Target Muscle Aging. Calcif Tissue Int. 2024;114(1):53-9.


Rybelsus® er indisert til behandling av voksne med utilstrekkelig kontrollert diabetes mellitus type 2 for å forbedre glykemisk kontroll som tillegg til diett og fysisk aktivitet:1
• som monoterapi når metformin er vurdert uegnet grunnet intoleranse eller kontraindikasjoner.
• i kombinasjon med andre legemidler til behandling av diabetes.
Se SPC for resultater fra studier vedrørende kombinasjoner, effekt på glykemisk kontroll, kardiovaskulære hendelser og populasjoner som ble undersøkt.
Rybelsus® skal tas på tom mage, etter en anbefalt fasteperiode på minst 8 timer.
Ta en tablett Rybelsus® ut av pakningen og svelge den hel med en slurk vann (maks. 120 ml).
Rybelsus® (semaglutid): Utvalgt sikkerhetsinformasjon2
Les fullstendig preparatomtale før forskrivning
• Svært vanlige (≥ 1/10) bivirkninger: er gastrointestinale, inkludert kvalme og diaré. Hypoglykemi ved bruk sammen med insulin eller sulfonylurea.
• Andre vanlige (≥ 1/100 til < 1/10) bivirkninger: svimmelhet, fatigue, redusert appetitt, økt amylase, økt lipase, komplikasjoner av diabetesretinopati* og andre gastrointestinale bivirkninger^. Hypoglykemi ved bruk sammen med andre orale antidiabetika.
• Mindre vanlige (≥ 1/1 000 til < 1/100) bivirkninger: gallestein, vekttap, eruktasjon.
• Akutt pankreatitt: er observert ved bruk av GLP-1-RA (0,1 %). Ved mistanke bør semaglutid seponeres og ved bekreftet pankreatitt bør behandlingen ikke gjenopptas.
• Diabetisk ketoacidose: har blitt rapportert hos insulinavhengige pasienter etter rask seponering eller dosereduksjon av insulin når behandling med en GLP-1reseptoragoinst ble startet.
• Dysgeusi (smaksforandringer): er blitt rapportert.
• Puls: det er observert en økning på 1-4 slag per minutt.
• Skal ikke brukes hos pasienter med diabetes type 1, av gravide (seponeres minst 2 måneder før planlagt graviditet) eller ved amming
• Det er ingen terapeutisk erfaring med semaglutid hos pasienter med bariatrisk kirurgi.
^ Abdominale smerter og distensjon, forstoppelse, oppkast, dyspepsi, gastroøsofageal reflukssykdom, gastritt, flatulens.
Vent minst en halvtime før inntak av mat, drikke og eventuelle andre legemidler som tas oralt.
Kan benyttes uten dosejustering
Alder Begrenset erfaring hos pasienter ≥75 år
Nyrefunksjon
Lett, moderat eller alvorlig nedsatt funksjon. Begrenset erfaring ved alvorlig nedsatt nyrefunksjon
Anbefales ikke
Barn/ungdom under 18 år
Terminal nyresykdom (eGFR < 15 ml/min 1,73m2)
Hjertesvikt NYHA klasse I-III NYHA klasse IV
Leverfunksjon
Mild, moderat og alvorlig nedsatt. Begrenset erfaring ved alvorlig nedsatt leverfunksjon
* Kombinasjon av: retinal fotokoagulasjon, behandling med intravitreale midler, intravitreal blødning, diabetesrelatert blindhet (mindre vanlig). Frekvens basert på kardiovaskulær endepunktsstudie med ukentlig subkutan semaglutid.3
Refusjonsvilkår og pris3-5
ATC-kode: A10B J06 (Glukagonlignende peptid-1 (GLP-1) -analoger)
Refusjon4,5
Det kan søkes om individuell refusjon på blå resept for Rybelsus® ved diabetes mellitus type 2 (ICPC-2 T90/ICD-10: E11) i kombinasjon med metformin, og/eller sulfonylurea og/eller insulin, hos pasienter som ikke har oppnådd tilstrekkelig glykemisk kontroll på høyeste tolererte dose av disse legemidlene. Det skal i søknaden oppgis en vurdering av minst ett av de nevnte legemidlene over.# Rybelsus® skal brukes i kombinasjon med et legemiddel med metformin eller sulfonylurea eller insulin.
Rybelsus® 7 mg 30/90 stk. blisterpakning (146870/439553)
Rybelsus® 14 mg 30/90 stk. blisterpakning (383205/047094)
/ 3
# Monoterapi med Rybelsus® eller Rybelsus® i kombinasjon med andre diabeteslegemidler enn metformin/SU/insulin er ikke metodevurdert av DMP, og HELFO kan ikke vurdere individuell stønad til slik behandling.
/
Rybelsus® er ikke indisert for vektreduksjon. Gjennomsnittlig reduksjon i kroppssvekt i PIONEER 1-8 studiene var for vedlikeholdsdosene 7 mg og 14 mg i uke 26 fra 2,2 - 4,4 kg.1 Referanser: 1. Rybelsus® SPC, avsnitt 4.1, 4.2, 5.1. 2. Rybelsus® SPC, avsnitt 4.2, 4.4, 4.6, 4.8, 5.2 og 5.3. 3. Marso SP, Bain SC, Consoli A et al. Semaglutide and Cardiovascular Outcomes in Patients with Type 2 Diabetes (SUSTAIN-6). NEJM 2016;375:1834-1844 4. Helsedirektoratet. Fullstendige villkår for individuell stønad Rybelsus®. Tilgjengelig på: https://www.helsedirektoratet.no/rundskriv/ kapittel-5-stonad-vedhelsetjenester/vedlegg-1-til--5-14-legemiddellisten/virkestoffer/semaglutid-3 (Lest: 08.08.24). 5. Felleskatalogen Rybelsus®. Tilgjengelig fra https://www.felleskatalogen.no/medisin/ rybelsus-novo-nordisk-675190 (Lest: 08.08.2024).
Novo Nordisk Norway AS Nydalsveien 28 · Postboks 4814 Nydalen 0484 Oslo
Telefon: +47 22 18 50 51 www.novonordisk.no
E-post: Kundeservice-norge@novonordisk.com

Anders Sletten Olsen og Jan Otto Beitnes Universitetsforlaget 2024
Anmeldt av Håvard Holth Mundal, Avtalespesialist kardiologi HSØ
Nå foreligger det en oppdatert lærebok på norsk om bruk av transthorakal ekkokardiografi i klinisk praksis. Forfatterne arbeider på Kardiologisk Avdeling, Rikshospitalet i Oslo. Slik boka fremstår, så tror jeg hele avdelingens kliniske erfaringsbakgrunn gjennom mange år danner grunnlaget for denne boka.
La det være sagt med en gang: Hvis noen har tilgang til en ultralyd-maskin som kan brukes til hjerte-undersøkelser, så vil svært mange både oppleve glede og høste ny kunnskap på dette fagområdet, hvis man tar seg tid til å lese teksten. I klartekst tør jeg mene at alle leger i utdannelse i indremedisin og kardiologi bør unne seg å kjøpa boka, fordi den er en supplerende lærebok i indremedisin. Den kan også godt egne seg som et utgangspunkt for organiserte kollokviegrupper, man leser 1-2 kapitler, samles og diskuterer, og så vil en dag alle 23 kapitler være gjennomgått.
Men hva handler nå egentlig boka om? Som et felles startsted med andre tilsvarende lærebøker, er det innledningsvis to kapitler om basal fysikk og om hvordan man utfører en standardisert undersøkelse. Så følger 8 kapitler om venstre ventrikkel: Anatomi, systolisk og diastolisk funksjon, iskemisk hjertesykdom og klaffe dysfunksjonene. Høyre ventrikkel får 3 kapitler.
Infeksiøs endokarditt, kardiomyopatiene, perikardsykdommer, tumores, systemsykdommer, embolikilder, graviditet og medfødte hjertefeil blir også gjennomgått.

Språket ligger godt opp mot det muntlige, setningene er ikke for lange og heller ikke unødvendig kompliserte. Boka kan brukes som oppslagsverk, særlig hvis man vet hvilken sykdom eller diagnose som er utgangspunktet for undersøkelsen. Der er også mange spennende kasuistikker, og små blå «huskelapper».
Boka kan også bidra til selvrefleksjon rundt det å utføre ekkokardiografi, og jeg tenker at man ofte arbeider langs to akser: Noen andre har satt eller foreslått en diagnose, og man skal
lete etter karakteristiske trekk ved den tilstanden. Eller man gjør en ny undersøkelse som kan være med å danne grunnlaget for en ny diagnose.
Som konklusjon er boken meget lett å anbefale. Hadde jeg vært overlege på en kardiologisk eller indremedisinsk avdeling, ville jeg kjøpt den som julepresang til alle LIS-leger. Og så kunne overleger og kardiologer smuglese i den, og undre seg over alt de ikke visste om ekkokardiografi i klinisk praksis.


Effektiv og vedvarende LDL-C reduksjon1
I en samlet analyse av fase 3-studiene Orion-9, -10 og -11 ga Leqvio 50,7 % LDL-C reduksjon vs placebo ved dag 510 (95 % KI: -52,9 %, -48,4 %; p<0,0001) og 50,5 % LDL-C reduksjon som vedvarte fra måned 3 til måned 18 vs placebo (95 % KI: 52.1% -48.9%; p<0,0001)
50,7 %
To doser per år etter oppstartsdosering første år
Ferdigfylt sprøyte som administreres av helsepersonell, subkutan injeksjon.
Godt dokumentert sikkerhetsprofil2,3,4,5
Langtidsdata opp til 6 år viser ingen nye sikkerhetssignaler i forhold til funn i forutgående fase 3-studier over 18 måneder.
2x årlig
6 års data
Sikkerhet ved forskrivning av Leqvio:
I de pivotale studiene forekom bivirkninger på injeksjonsstedet hos henholdsvis 8,2 % og 1,8 % av pasientene på inklisiran og placebo. Forsiktighet ved alvorlig nedsatt lever- og/eller nyrefunksjon. Hemodialyse bør ikke utføres i minst 72 timer etter dosering med inklisiran.
INDIKASJON: Leqvio er indisert hos voksne med primær hyperkolesterolemi (heterozygot familiær og ikke-familiær) eller blandet dyslipidemi, som tillegg til diett:
• i kombinasjon med et statin eller statin sammen med andre lipidsenkende behandlinger hos pasienter som ikke oppnår LDL-C-mål med maksimal tolerert dose av et statin, eller
• alene eller i kombinasjon med andre lipidsenkende behandlinger hos pasienter som er statinintolerante, eller der et statin er kontraindisert.
DOSERING: Anbefalt dose er 284 mg inklisiran administrert som en enkelt subkutan injeksjon. Første dose settes initielt, andre dose settes etter 3 måneder og deretter settes det en dose hver 6. måned.
PAKNINGER, PRISER OG REFUSJON: 1 stk. ferdigfylt sprøyte med kanyleskjold, 026109, kr 31 461,20. Reseptgruppe C. Refusjon etter individuell søknad (§3) og i henhold til «Retningslinjer for individuell stønad for Leqvio» fastsatt av Helfo.6
Konsulter alltid Felleskatalogtekst eller SPC for fullstendig sikkerhetsinformasjon før forskrivning
REFERANSER: 1. Wright RS, Ray KK, Raal FJ et al. 2021 JACC Pooled Patient-Level Analysis of Inclisiran Trials in Patients With Familial Hypercholesterolemia or Atherosclerosis. 2. Ray, K. K., Wright, R. S., Kallend, D., et al. Two phase 3 trials of inclisiran in patients with elevated LDL cholesterol. New England Journal of Medicine, 2020, 382.16: 1507-1519. 3. Raal, F. J., Kallend, D., Ray, K. K., et al. Inclisiran for the treatment of heterozygous familial hypercholesterolemia. New England Journal of Medicine, 2020, 382.16: 1520-1530. 4. Ray KK, Troquay RP, Visseren FL, et al. Long-term efficacy and safety of inclisiran in patients with high cardiovascular risk and elevated LDL cholesterol (ORION-3): results from the 4-year open-label extension of the ORION-1 trial. The Lancet Diabetes & Endocrinology. 2023 Jan 5. 5. Wright, R. S., Koenig, W., Landmesser, U., et al (2023). Safety and tolerability of inclisiran for treatment of hypercholesterolemia in 7 clinical trials. Journal of the American College of Cardiology, 82(24), 2251-2261. 6. https://www.helsedirektoratet.no/rundskriv/kapittel-5-stonad-ved-helsetjenester/vedlegg-1-til--5-14-legemiddellisten/virkestoffer/inklisiran, lest 30.01.2024.
Skann QR-koden for å registrere ditt samtykke og motta elektronisk informasjon fra Novartis
Denne dagen blir fylt med et variert og spennende program som gir rom for gode diskusjoner og sosialt samvær. Programmet er spesielt relevant for geriatere og leger i spesialisering i geriatri, men også andre leger med interesse for eldre. Hold av datoen og meld deg på!
Magnhild Dejgaard, leder NFG

Dejgaard
Vi er opptatt av at eldre skal få en god alderdom, selv i møte med sykdom. Eldre i dag har generelt bedre helse enn tidligere generasjoner, men det finnes store individuelle forskjeller blant personer i samme aldersgruppe. Hvordan påvirker iboende kapasitet og motstandsdyktighet aldringsprosessen og hva betyr dette for sunn aldring? Kan perspektiver som vektlegger dette gi oss en mer positiv forståelse av skrøpelighet? Professor Geir Selbæk, ekspert innen aldersforskning vil belyse disse spørsmålene.
Fysisk aktivitet og ernæring spiller en avgjørende rolle for god aldring. Hva sier forskningen om ernæringens betydning for å forebygge kognitiv svikt? Her vil både interne og eksterne foredragsholdere dele innsikt og kunnskap, noe som vil legge grunnlaget for spennende diskusjoner og paneldebatt.
Håndtering av pasienter med adferdsforstyrrelser og akutt somatisk sykdom er ofte utfordrende. For å lykkes trenger vi samarbeid på tvers av spesialiteter. Vi har invitert en alderspsykiater og en geriater til å dele sine erfaringer og perspektiver på hvordan vi best kan samarbeide
med alderspsykiatrien om disse pasientene.
I tillegg vil våre syv faggrupperdemens, delirium, skrøpelighetsvurderinger, hjerneslag, ortogeriatri og palliasjon – gi oss en oppdatering om relevant forskningsaktivitet og hva som er nytt innen feltene.
Som alltid arrangerer vi også i år kasuistikkonkurranse, hvor den beste kasuistikken blir premiert. Dette er en flott mulighet for både LIS og overleger til å dele noe som har vært lærerikt eller overraskende. Har du en spennende kasuistikk du vil presentere? Send inn ditt bidrag i PowerPoint-format til Håkon IhleHansen (HAAIHL@vestreviken.no) innen 31. oktober 2024.
Vi avslutter høstmøtet med et foredrag av Anne Rita Øksengård, forskningssjef for Nasjonalforeningen, som gjennom sin karriere har arbeidet med demens. Hun vil dele historiske innsikter som kan forme fremtidenes løsninger.
Dette er en dag du ikke vil gå glipp av – meld deg på!
Hilsen Kvalitetsutvalget i Norsk Forening for Geriatri ved leder
Praktiske detaljer og påmelding:
- Pris: 1300 kr Pensjonist 800 kr Stud.med gratis
- Det vil bli servert lunsj og pausemat
- Påmelding innen 31.10.2024
- Middag for foreningens medlemmer (bindende påmelding)

Tid Tema
09.00 – 09.30 Ankomst, registrering og kaffe
Foredragsholder
9.30 Åpning Høstmøtekomiteen
9.30 – 10.00 Sesjon 1: Adferdsforstyrrelser og akutt somatisk sykdom. Brobygging mellom geriatri og alderspsykiatri
10.00 – 10.45 Sesjon 2: Oppdatering fra faggruppene demens, delirium, skrøpelighetsvurderinger
10.45 – 11.00 Pause
11.00 – 11.45 Sesjon 3: Oppdatering fra faggruppene Slag, ortogeriatri og palliasjon
11.45 – 12.45 Lunsj
12.45 - 13.30 Sesjon 4: Noe å lære av. Kasuistikk-konkurranse!
13.30 – 15.00 Sesjon 4: God alderdom – selv i møte med sykdom. Kan perspektiv som vektlegger «intrinsic capacity» og≈«recilience» gi oss en mer positiv forståelse av skrøpelighet?
• Aldring i Norge. Kan vi få god aldring og meningsfulle dager med demens og dårlig helse?
• Ernæring og kognitiv svikt, hva er evidensen?
• Hvordan påvirker fysisk aktivitet god alderdom?
• Hvordan påvirker ernæring god alderdom?
• Paneldebatt
15.00 – 15.15 Pause
15.15 – 16.00 Meet the mentor
Demens– Fra historiske lærdommer til fremtidenes løsninger
Marc Vali Ahmed, overlege geriatrisk avdeling OUS Håkon Olafsen Waaler, overlege alderspsykiatrisk avdeling OUS
Oppdateringer om aktiviteter og faglige nyheter fra faggruppene
Geir Selbæk, professor OUS og Nasjonalt senter for aldring og helse Jelena Soares, PhD, overlege geriatrisk avdeling Lovisenberg Tormod Skogstad Nilsen, PhD, forsker ved Norges Idrettshøyskole Marit Kolby, mastergrad i ernæringsbiologi fra UiO
Anne Rita Øksengård, forskningssjef, dr.med. Nasjonalforeningen
16.00 – 16-10 Oppsummering Høstmøtekomiteen
16.30 – 18.30 Årsmøte Norsk forening for geriatri
19.00 Middag
Skann QR-koden for å sette opp et møte med en produkspesialist. Under møtet vil dere diskutere praktisk bruk av Mounjaro og gjennomgå tilgjengelig pasientmateriell.


Mounjaro er indisert som tillegg til diett med redusert kaloriinntak og økt fysisk aktivitet for vektkontroll, inkludert vekttap og vedlikehold av vekt, hos voksne med initial KMI (kroppsmasseindeks) på
• ≥30 kg/m2 (fedme) eller
• ≥ 27 kg/m2 til < 30 kg/m2 (overvekt) ved forekomst av minst én vektrelatert komorbiditet (f.eks. hypertensjon, dyslipidemi, obstruktiv søvnapné, kardiovaskulær sykdom, prediabetes eller diabetes mellitus type 2).
Mounjaro er indisert til behandling av voksne med utilstrekkelig kontrollert diabetes mellitus type 2 som tillegg til diett og mosjon
• som monoterapi når metformin ikke kan benyttes på grunn av intoleranse eller kontraindikasjoner
• i tillegg til andre legemidler til behandling av diabetes.
De hyppigst rapporterte bivirkningene er gastrointestinale sykdommer, inkludert kvalme, diaré, forstoppelse og oppkast.
Mounjaro «tirzepatid» injeksjonsvæske, oppløsning i ferdigfylt penn ▼ Dette legemidlet er underlagt særlig overvåking Reseptgruppe C Indikasjoner: Diabetes mellitus type 2: Behandling av voksne med utilstrekkelig kontrollert diabetes mellitus type 2 som tillegg til diett og mosjon. Som monoterapi når metformin ikke kan benyttes pga. intoleranse eller kontraindikasjoner eller tillegg til andre antidiabetikum. Vektkontroll: Som tillegg til diett med redusert kaloriinntak og økt fysisk aktivitet for vektkontroll, inkl. vekttap og vedlikehold av vekt, hos voksne med initial KMI på: ≥30 kg/m2 eller ≥27 kg/m2-<30 kg/m2 ved forekomst av minst én vektrelatert komorbiditet. Dosering: Startdose er 2,5 mg 1 gang i uken, deretter skal dosen økes til 5 mg 1 gang i uken. Doseøkning à 2,5 mg kan foretas hver 4. uke om nødvendig. Anbefalt vedlikeholdsdose er 5, 10 og 15 mg, og maks. dose er 15 mg. Kan legges til eksisterende behandling med metformin og/eller SGLT2-hemmer uten doseendring, eller eksisterende behandling med sulfonylurea og/eller insulin, vurder behov for dosereduksjon. Se SPC for glemt dose, endring av doseringsplan, spesielle pasientgrupper og administrasjon. Kontraindikasjoner: Overfølsomhet for innholdsstoffene. Forsiktighetsregler: Akutt pankreatitt er sett, og pasienter skal informeres om symptomer på dette. Ved mistenkt pankreatitt, skal tirzepatid seponeres, og ikke startes på nytt ved bekreftet pankreatittdiagnose. Kombinasjon med legemidler med effekt på insulinsekresjon (f.eks. sulfonylurea og/eller insulin), kan gi økt risiko for hypoglykemi (se dosering). Gastrointestinale bivirkninger, inkl. kvalme, oppkast og diaré er sett, og kan føre til dehydrering, noe som kan medføre nedsatt nyrefunksjon, inkl. akutt nyresvikt. Pasienter skal informeres om mulig risiko for dehydrering, og ta forholdsregler for å unngå væskeunderskudd og elektrolyttforstyrrelser, spesielt eldre. Forsiktighet skal utvises ved alvorlig gastrointestinal sykdom, inkl. alvorlig gastroparese, pga. manglende erfaring. Forsiktighet skal utvises med egnet overvåkning ved ikke-proliferativ diabetisk retinopati som krever akutt behandling, proliferativ diabetisk retinopati eller diabetisk makulaødem. Tilfeller av pulmonal aspirasjon er sett hos pasienter under generell anestesi eller dyp sedasjon. Før igangsettelse av slike prosedyrer, bør økt risiko for resterende mageinnhold pga. forsinket magetømming vurderes. Graviditet, amming og fertilitet: Graviditet: Ikke anbefalt under graviditet eller til fertile kvinner som ikke bruker prevensjonsmiddel. Pga. den lange halveringstiden skal tirzepatid seponeres minst 1 måned før en planlagt graviditet. Ingen/begrenset human data. Påvist reproduksjonstoksisitet hos dyr. Amming: Overgang i morsmelk er ukjent. Det må tas en beslutning om amming skal opphøre eller behandling avstås fra, basert på nytte-/risikovurdering. Fertilitet: Ikke kjent hos mennesker. Bivirkninger: Svært vanlige: Hypoglykemi1, kvalme, diaré, oppkast2, abdominalsmerter2, forstoppelse2 Vanlige: Overfølsomhetsreaksjoner, svimmelhet, hypotensjon, dyspepsi, abdominal distensjon, raping, flatulens, gastroøsofageal reflukssykdom, alopesi, fatigue, reaksjoner på injeksjonsstedet, økt hjertefrekvens, økt lipase, økt amylase. Mindre vanlige: Gallestein, kolecystitt, akutt pankreatitt, dysgeusi. Sjeldne: Anafylaktisk reaksjon, angioødem 1Svært vanlig ved samtidig bruk av sulfonylurea eller insulin, vanlig ved samtidig bruk av metformin og SGLT2-hemmer og mindre vanlig ved samtidig bruk av metformin. 2Svært vanlig i vektkontrollstudier, og vanlig i studier med diabetes mellitus type 2. Overdosering/Forgiftning: Behandling: Hensiktsmessig støttebehandling iht. pasientens kliniske tegn/symptomer. For mer informasjon, se preparatomtalen (SPC) Innehaver av markedsføringstillatelsen: Eli Lilly Nederland B.V.. Kontaktinformasjon: Telefon: 22881800 E-post: scan_medinfo@lilly.com Basert på SPC godkjent av DMP/EMA: 01.09.2024 Pakninger og priser per 16.09.2024: 2,5 mg: 4 × 0,5 ml (ferdigfylt penn) kr 3108,70. 5 mg: 4 × 0,5 ml. (ferdigfylt penn) kr. 3108,70. (priser og ev. refusjon oppdateres hver 14. dag). Utarbeidet 09/2024
PP-TR-NO-0114 09.2024
© 2024 Eli Lilly and Company. All rights reserved. Mounjaro® and Lilly are registered trademarks of Eli Lilly and Company. PP-TR-NO-0131 09.2024

Årets Arendalsuka gikk av stabelen 12-16. august. For min del var dette en førstegangsreis som definitivt ga mersmak. Jeg vil anbefale alle som får muligheten til å delta på Arendalsuka om å gripe sjansen da dette både var morsomt og spennende. Bare husk å sikre et sted å overnatte før du drar.
Det var mange store og varierte temaer innenfor helsepolitikk som var inkludert i programmet, og blant disse også flere innlegg om breddekompetanse. Den 14. august hadde de 3 private idelle sykehusene; Haraldsplass Diakonale sykehus, Lovisenberg Diakonale sykehus og Diakonhjemmet sykehus innlegg fra sine sykehusdirektører om temaet «Breddekompetanse som nøkkel til en bærekraftig helsetjeneste»
Arrangementet ble streamet og lenke til opptak er fortsatt tilgjengelig på www.au23.no
Påfølgende morgen hadde jeg gleden av å være med som deltager på frokostseminaret «Kan breddekompetanse gi kontroll på kvalitet, ventelister og personellmangel»? arrangert av Nasjonalt senter for Distriktmedisin ved Anette Fosse og Legeforeningen.
Innleggene var varierte og inkluderte blant annet leder av Lister næringsforening, Hans Fredrik Grøvan som ivaretok nærings og samfunnsperspektivet. Tidligere klinikkdirektør ved Sørlandet Sykehus Flekkefjord og samfunnsmedisiner Øystein Evjen
Olsen snakket om hvordan helsepyramiden i dag kanskje minner mer om et timeglass - med økende topptung spisskompetanse og en god grunnmur av fastleger som ivaretar bredden i primærhelsetjenesten, men med et stadig tynnere sjikt av spesialisert breddekompetanse i midten, som trolig bidrar til en overbelastning på helsetjenesten i begge retninger. De som ønsker å høre mer om akkurat dette temaet kan komme og høre Evjen Olsen holde et lengre innlegg på årets indremedisinske Høstmøte.


I en samtale mellom undertegnede og pasient- og brukerombudet i Agder, Hanne Damsgaard forsøkte vi å belyse pasientens perspektiv. Et viktig behov for den enkelte er å kunne få behandling på rett sted til rett tid av rett nivå. Men for å kunne ivareta flest mulig i fremtidens helsetjeneste vil det også være viktig å unngå både over- og underutredning av noe vi tror kompetente breddespesialister vil kunne bidra til.
Et bredt sammensatt panel besto av Aase Aamland, fylkeslege hos Statsforvalteren i Agder, Jan Frich, direktør Diakonhjemmet sykehus, Ståle Onsgård Sagabråten, fastlege og leder for Fagstyret i legeforeningen, Marie Thoresen, prosjektleder fra Helsedirektoratet, Anne Mette Njaastad, overlege indremedisinsk avd, OUS Ullevål og John Kristian Glent, overlege gastrokirurgi og generell kirurgi på Ringerike. Samtlige var enige om at det må settes et økende fokus på
spesialisert breddekompetanse for å kunne ivareta behovene i fremtidens helsetjeneste. Optimaliserte utdanningsløp og ivaretagelse av trygge rammer fra tilsynsmyndighetene vil være nødvendige for å få til dette. Njaastad påpekte at behovet for spesialisert breddekompetanse vil være vel så stort på større universtitetsykehus som ved lokalsykehus, mens Glent manet til at det må iverksettes raske tiltak, da det danner seg et stadig voksende gap mellom legene som utdannes i dag og de som har bært stafettpinnen med breddekompetanse innen indremedisnske og kirurgiske fag frem til nå.
Statssekretær Bekeng snakket om styrking av breddekompetanse på vegne av Helse- og omsorgsdepartementet og fikk også oppdraget med å avrunde seminaret; han advarte om at det også må finnes leger som ønsker å jobbe med spesialisert breddekompetanse. Det gjenstår fremdeles noen premisser for at vi
skal sikre dette. En av forutsetningene er at det bygges brede og trygge fagmiljøer med tilgjengelige stillinger og en avklart oppgavefordelinger opp mot de øvrige sykehus spesialitetene og primærhelsetjenesten.
Seminaret i Arendal antyder både en faglig og politisk vilje til å finne løsninger for å oppnå dette - og med så mange gode krefter og kloke hoder i sving, har jeg en forsiktig optimisme på at vi skal klare å ivareta breddekompetanse i fremtidens Helse-Norge.
Kalcipos brukes for forebygging og behandling av kalsium og vitamin D-mangel hos eldre.1 Eller som et vitamin D og kalsiumsupplement i tillegg til spesifikk osteoporosebehandling hos pasienter med risiko for vitamin D- og kalsiummangel.1 Tablettene er beregnet for voksne over 18 år og doseres daglig.1 Svelges hele med vann. Kan ev. knuses eller deles ved behov.1
Mengde kalsium i preparatet er under vanlig anbefalt daglig inntak.1 Preparatet er derfor primært beregnet til pasienter med behov for vitamin D- tilskudd utover inntak av 500-1000 mg kalsium daglig via maten.1 Kalsiuminntak via maten bør beregnes av forskriver.1
Utvalgt sikkerhetsinformasjon:1


• Kalcipos er kontraindisert ved: Hyperkalsemi, hyperkalsiuri samt sykdommer og/ eller tilstander som fører til hyperkalsemi og/eller hyperkalsiuri (f.eks. myelom, benmetastaser, primær hyperparatyreoidisme), nefrolitiasis, nefrokalsinose, hypervitaminose D, alvorlig nedsatt nyrefunksjon og nyresvikt.
• Kalcipos bør forskrives med forsiktighet til pasienter med sarkoidose.
• Hjelpestoffer: Inneholder sukrose.
Ved graviditet skal daglig inntak ikke overskride 1500 mg kalsium og 600 IE vitamin D.1 Skal derfor ikke brukes rutinemessig for forebygging av kalsium- og vitamin D-mangel i svangerskapet, men kan brukes til gravide som har stor risiko for å utvikle hypokalsemi, eller som allerede har kalsium- og vitamin D-mangel.1
Kan brukes under amming. Kalsium og vitamin D3 går over i morsmelk.1 Oppbevaring: Oppbevares i originalpakningen for å beskytte mot lys. Hold beholderen tett lukket for å beskytte mot fuktighet.1
Kalcipos (kalsiumkarbonat, vitamin D3): refusjon og pris Reseptgruppe C. Pakninger og priser: 90 tabletter koster: 205,80.2
Kalcipos kan for enkelte diagnoser gis individuell stønad på blå resept, se vedlegg 1, til folketrygdloven § 5-14, blåreseptforskriften.3
Få oversikt over aktuelle diagnosekoder og vilkår i fulltekst på Helsedirektoratets nettsider ved å skanne QR-koden.

Ytterligere informasjon preparatomtalen, SPC: Kalcipos (09.03.2022)

Referanser:
1. Kalcipos SPC (09.03.2022), avsnitt 2., 3., 4,1, 4.2, 4.3, 4.6. og 6.4.
2. Kalcipos, Felleskatalogtekst basert på SPC 09.03.2022
3. Helsedirektoratet, rundskriv, kapittel 5, stønad til helsetjenester, Vedlegg 1 til § 5-14 legemiddellisten, legemidler, kalsiumpreparater Sist faglig oppdatert: 23.04.2024
Tenk på det!
ATTR-CM er en dødelig sykdom som det er lett å overse.
Den er også lett å diagnostisere – bare du tenker på det!

Referanser:
LV veggtykkelse ≥ 12 mm
Tenk på transtyretin amyloid kardiomyopati (ATTR-CM) når du ser: 1,2
Venstre ventrikkel (LV) veggtykkelse ≥ 12 mm
Hjertesvikt
Pasient ≥ 65* år
Les mer på www.kardialamyloidose.no

Se Rune Mo sitt foredrag “Hvem skal utredes for ATTR hjerteamyloidose og hvordan?” www.pfi.sr/utred
* Menn ≥65 år eller kvinner ≥ 70 år. 3
1. Dorbala S, Ando Y, Bokhari S, et al. J Nucl Cardiol. 2019;26(6):2065-2123.
Addendum: J Nucl Cardiol. Published online July 1, 2021.
2. Garcia-Pavia P, Rapezzi C, Adler Y, et al. Eur Heart J. 2021;42(16):1554-1568.
3. Witteles RM, Bokhari S, Damy T, et al. JACC Heart Fail. 2019;7(8):709-716.