Foro EDOMEX 2025

Page 1


DR. CARLOS CASTILLO RANGEL

Neurocirujano de Base de Cráneo y Vascular Cerebral

Médico cirujano egresado de la universidad autónoma de México.

Egresado del Hospital Juárez de México como neurocirujano en 1995.

Cirujano de base de cráneo y cirujano vascular cerebral, post graduado de la Wayne State University, Detroit, Michigan, U.S.A.

Maestro en neurociencias por la universidad de Barcelona.

Profesor de curso de neurocirugía UNAM

Miembro Del Consejo Mexicano De Cirugia Neurologica Ac.

Miembro Del Sistema Nacional De Investigadores SNI I

Importancia de la investigación médica

- La investigación impulsa el desarrollo del conocimiento científico.

- Permite validar y mejorar continuamente los procedimientos clínicos.

- Es fundamental para ofrecer atención médica basada en evidencia.

La neurocirugía como campo de alta complejidad

- Requiere precisión, actualización constante y tecnología avanzada.

- La investigación permite minimizar riesgos y mejorar resultados quirúrgicos.

- Se adapta a las nuevas demandas clínicas y tecnológicas.

Investigación guiada por un experto

Principales líneas de investigación en nuestro hospital

Evaluación de resultados en cirugía de cráneo y columna.

Tratamientos mínimamente invasivos en patología

cerebral y columna.

Seguimiento postoperatorio y recuperación funcional.

Dolor crónico y neuromodulación.

Educación y entrenamiento neuroquirúrgico.

Innovación y estandarización de tratamientos neuroquirúrgicos.

Neuroplástica.

Formación de profesionales con visión científica

- Impulsamos la participación del personal en proyectos de investigación.

- Promovemos la publicación de artículos y asistencia a congresos.

- Fomentamos el pensamiento crítico desde la formación académica.

Proyección y colaboración institucional

- Colaboración con universidades y centros de investigación.

- Participación en redes de neurocirugía y foros científicos.

- Desarrollo de protocolos de estudio clínico propios.

ROTACIONES

ARGENTINA, COLOMBIA Y ESPAÑA

Organización de curso académicos internacionales

en nuestra sede

PARTICIPACIÓNACADÉMICA

PARTICIPACIÓNACADÉMICA

DELOSRESIDENTESENLAS DELOSRESIDENTESENLAS

ASOCIACIONESDEMÉXICO ASOCIACIONESDEMÉXICO

PRIMERLUGAREN CONGRESOS

INTERNACIONALES

INVESTIGACIÓN CIENTÍFICA EN MÉXICO

Producción científica global: Se publica 2.5 millones de artículos al año. Paises con mayor producción científica son: EUA (18%), China, Reino Unido, Alemania, Japon, India.

Producción científica México: Contribuye 0.7%-0.9% del total de las publicaciones, en América Latina ocupamos el segundo lugar después de Brasil.

Según Scmiago Journal & Country Rank, México publica un aproximado de 25-000 a 35 000 artículos científicos por año.

Fortalezas de investigación en México.

Alta productividad por investigador, en comparación con países de similar inversicón

País considerado como potencia en la investigación en salud, energía.

60% de la investigación reportada es en el campo de la Medicina

RETOS DE LA INVESTIGACIÓN EN MÉXICO

Baja inversión en investigación y desarrollo (I+D):

México destina aproximadamente el 0.47% de su PIB a I+D, cifra inferior al promedio de la OCDE, que es cercano al 2.5%.

Esta limitada inversión afecta la capacidad del país para generar innovación y tecnología propia.

Fuga de cerebros

Desafíos y oportunidades a futuro

Acceso a tecnologías de última generación.

Financiamiento y apoyo para líneas de investigación prioritarias.
Consolidación de un equipo multidisciplinario de investigación.

Gracias por su atención

La investigación transforma vidas.

Sigamos avanzando juntos hacia una neurocirugía de excelencia.

El derecho humano a la ciencia

Foto de: https://www.diariojuridico.com/mexico-conacyt-busca-consolidar-el-derechohumano-a-la-ciencia/

Reconocido internacionalmente con esa denominación en el año 2012

Derecho a participar en el progreso científico y a disfrutar de los beneficios que resulten del mismo

Derecho a disfrutar de la protección de los intereses morales y materiales que correspondan por razón de las producciones científicas

Espinoza Hernándes and Gómez Ruiz 2022

El papel de los investigadores

Sistema Nacional de Investigadores y Programa de Posgrados

Retos actuales

Áreas de oportunidad

SCIMAGO INSTITUTIONS RANKINGS (SIR)

Clasifica instituciones de investigación a nivel mundial

Combina variables de investigación, innovación e impacto social

Utiliza la base de datos SCOPUS de Elsevier

Se publica anualmente

Sistema Nacional de Investigadores y Programa de Posgrados

2024 43 952 I ti dores Nacionales

Fuentes: CONAHCyT (2024),Figueroa Elenes(2024)

Paridad de género

RETOS PARA CONSOLIDAR LA INVESTIGACIÓN

Fuga de cerebros

Inserción de posgraduados

Financiamiento

Crecimiento de la comunidad

Infraestructura

Impulso de investigaciones en áeas prioritarias y difusión social del conocimiento

Enfermedade s crónico degenerativas

Neoplasias

Transferencia de tecnología

Trastornos neurológicos

Envejecimiento

Problemas de salud mental

Trastornos de la nutrición

Problemas de salud emergentes o reemergentes

Enfermedades ambientales

Mortalidad materna y perinatal

Colaboraciones nacionales e internacionales: Establecer vínculos con instituciones de renombre puede impulsar los proyectos locales y abrir nuevas vías de financiación.

Participación en Iniciativas Gubernamentales: Las políticas públicas que apoyan la investigación pueden generar un ambiente propicio para el desarrollo científico.

ÁREAS DE OPORTUNIDAD

Impacto en la calidad de la investigación

Innovaciones Tecnológicas: La adopción de nuevas tecnologías puede mejorar la eficiencia de la investigación y facilitar descubrimientos significativos.

https://t.me/IntelliMedIAMX

https://twitter.com/IntelliMediA42 https://intellimedia.educatio

There are three types of people make things

happen

watch things

happen

wonder what happened those who

https://www.asaecenter.org/resources/articles/an_plus/2017/september/rethinking-the-change-adoption-curve

conciencia capacitación infraestructura

Consciousness. Zeman A. Brain. 2001 Jul;124(Pt 7):1263-89

doi: 10.1093/brain/124.7.1263

PMID: 11408323 Review.

awareness of awareness

https://en.wikipedia.org/wiki/Minister_for_Digital_Transformation

https://www.whitehouse.go v/briefingroom/presidentialactions/2024/10/24/memor andum-on-advancing-theunited-states-leadershipin-artificial-intelligenceharnessing-artificialintelligence-to-fulfillnational-securityobjectives-and-fosteringthe-safety-security

https://indicelatam.cl/factores-habilitantes/

https://indicelatam.cl/factores-habilitantes/

Japanese research is no longer world class - here's why.

Ikarashi A.

Nature. 2023 Nov;623(7985):14-16

doi: 10.1038/d41586-023-03290-1. PMID: 37880529

El documento realiza un análisis profundo de los marcos legales y normativos que regulan la salud digital en la región, con un énfasis especial en las historias clínicas electrónicas (HCE). Se evalúan los avances y desafíos a nivel tanto regional como nacional, identificando las fortalezas y vacíos en la legislación de 26 países de América Latina y el Caribe.

https://publications.iadb.org/es/marco-normativo-para-la-salud-

digital-en-america-latina-y-el-caribe-el-caso-de-las-historias

Categorías de Países

Con base en los puntajes totales, el ILIA 2025 clasifica a los países en tres grupos según la madurez de sus ecosistemas de IA:

Pioneros: Países con un entorno avanzado, robusta infraestructura, alto nivel de inversión y estrategias consolidadas (e.g. Chile, Brasil, Uruguay).

Adoptantes: Países en proceso de consolidar sus capacidades, con avances en algunas áreas pero con brechas importantes que aún deben cerrarse (e.g. Argentina, Colombia, México).

Exploradores: Países en etapas iniciales de desarrollo de la IA, con capacidades básicas y necesidad urgente de políticas y recursos para acelerar su progreso.

2. Investigación, Desarrollo y Adopción (I+D+A)

Investigación: Analiza la producción académica y científica, la productividad de investigadores y la consistencia de las publicaciones en IA.

Innovación y Desarrollo: Se centra en el número y valor de inversiones privadas, la creación de startups, patentes y la generación de soluciones innovadoras.

Adopción: Mide cómo la IA se integra en la industria y el sector público, incluyendo la digitalización de servicios y la transformación productiva.

Generamos conocimiento, pero no lo implementamos

Si alguien piensa que las cosas están bien

¡Yo tengo otros datos!

https://link.springer.com/article/10.1007/s11192-024-04965-w

Resultados

Table 1. Number of countries and basic statistics of the h-index by regions, considering data from 2022

In Fig. 6, we present the density of the h-index, the Individualism, Masculinity, and Research;

The blue group—called Group 1—includes 13 countries

The green group—called Group 2—has 23 countries

The red group—called Group 3—has 31 countries

Bibliometric Analysis: Six Decades of Scientific Production from a Nationwide Institution: Instituto de Seguridad y Servicios Sociales de los Trabajadores del Estado (ISSSTE) from Mexico.

Pacheco Aispuro G, Rojas Jácome IB, Martínez Zamora CA, Gil-Ortiz Mejía C, Mader C, Castillo Rangel C, Monroy Sosa A, Flores-Vázquez M, Arroyo Zavala OJ, Ramos-Zúñiga R, González Garibay G, Ángel

Alavez G, Lee Á.

Principales Hallazgos y Desafíos

Brecha Tecnológica Persistente: Aunque algunos países líderes han avanzado significativamente en infraestructura, formación y políticas de IA, la región en su conjunto aún se encuentra rezagada en comparación con los referentes globales en inversión, desarrollo de talento especializado e innovación.

Formación y Retención de Talento: Existe una alta demanda de profesionales en IA, pero la región enfrenta una marcada fuga de talentos, lo que subraya la necesidad de no solo formar nuevos especialistas, sino también retenerlos mediante mejores oportunidades y un entorno laboral atractivo.

Necesidad de Regulación Ética: El índice resalta la importancia de establecer marcos regulatorios que aseguren el uso responsable de la IA, protejan los derechos fundamentales y garanticen la transparencia en algoritmos y procesos automatizados.

Fomento de la Colaboración Regional: Para cerrar brechas y fortalecer los ecosistemas de IA, es fundamental promover la cooperación entre países latinoamericanos, compartir buenas prácticas y coordinar iniciativas a nivel regional.

Inclusión y Equidad: Persiste el desafío de lograr una participación equitativa de mujeres y otros grupos subrepresentados en la investigación y el desarrollo de tecnologías de IA.

https://www.ania.org.mx/propuestadeagendanacionaldeia

La alfabetización en salud como factor de riesgo para el gasto en salud

Investigación Biomédica en un Hospital de 3er Nivel

Diagnóstico molecular oportuno, específico, rápido, para dirigir el tratamiento del paciente con infecciones críticas (Sepsis, Micobacteriosis, Infecciones Respiratorias o Brotes Hospitalarios), para mejorar la calidad en la atención.

Historia de la Investigación en el

ISSSTE

En 1964, el ISSSTE inició sus esfuerzos en el ámbito de la investigación con la creación del Centro de Investigaciones Biomédicas y Pruebas Especiales (CIMPE).

En 1979, se estableció la Oficina Nacional de Investigación como unidad responsable de la investigación en el Instituto.

En 1994, se creó la Subdirección de Enseñanza e Investigación, la cual perduró como tal, hasta 2002.

En 2007, la investigación pasó a formar parte de las funciones de la SRAH, bajo la directriz de la Coordinación Nacional de Medicina Genómica, con la participación del Departamento de Investigación como estructura operativa.

A partir de 2011 esta labor pasó totalmente a cargo del Departamento de Investigación, dependiente de la Jefatura de Servicios de Enseñanza e Investigación.

Infraestructura en el ISSSTE 2008

Centro Médico

Nacional 20 de noviembre

Dirección Médica

Hospital Regional “1° de Octubre”

Subdirección de Regulación y Atención

Hospitalaria

Hospital Regional

Dr. Valentin Gómez

Farías

Hospital Regional

Lic. Adolfo López

Mateos

Subdirección de Enseñanza e Investigación

Coordinación de Investigación

Jefaturas de División

Coordinación de Enseñanza e Investigación

Jefatura de Investigación

Jefatura de Enseñanza e Investigación

Jefatura del Departamento de Investigación

Coordinación de Enseñanza e Investigación

Jefatura de Investigación

Investigación Básica

“1° de octubre de 2008”

Medicina Genómica

¿Qué hace un Biólogo en un Hospital?

Laboratorio de Medicina Genómica

Hospital Regional “1° de Octubre”

1° de abril de 2008

Impulsora de la investigación Biomédica

Traslacional

a través del diagnóstico
molecular encaminado a la atención médica personalizada.

CANAL ENDÉMICO

ZE= Zona de epidemia

ZA= Zona de alarma

ZS= Zona de seguridad

ZEX= Zona de éxito

DISTRIBUCIÓN DE LA TASA DE IAAS, SEGÚN SERVICIO

HOSP REGIONAL 1 DE OCTUBRE

*Tasax100egresos

Tasa x 100 egresos hospitalarios

DISTRIBUCIÓN DE GERMENES POR INFECCIÓN n=40

AGOSTO

Número

METODOS TRADICIONALES

OBTENCIÓN DEL LISADO PARA PCRs

CULTIVO BACTERIANO

CULTIVO

VENTAJAS:

Rápido(3minvs2días)

Económico$3.00

Fácildeimplementaren cualquierlaboratorio

Diagnósticoen30h

2µLSOBRENADANTE= MOLDEPARAPCR

VENTAJAS:

Seemplealamuestradirecta

Rápido(90mvs2días)

Económico$30.00

Fácildeimplementaren cualquierlaboratorio

Diagnósticoen8h

López, Thompson

Síntesis de PC

Genes de Virulencia de E. coli Uropatógenas

Genes de Patogenicidad de E. coli Uropatógenas

1er caso de éxito, masculino 2 semanas de edad, se sospecha brote en UTIP, Diagnóstico en 6 h, se toman acciones y se limita el riesgo de diseminación

E. coli PATÓGENAS

Resultados:

En este caso las muestras proceden de un hueso infectado y se realiza una búsqueda de patótipos de E, coli patógenas, encontrando expresión sólo de los genes de E. coli Enterohemorrágica, lo cual indica que la Bacteria presente, es resultado de contaminación por manipulación INADECUADA, se dirige tratamiento personalizado y se resuelve el problema.

E. coli PATÓGENAS

E. coli UROPATÓGENAS EN IVUs

2009 Pandemia

Influenza. Influenza A H1N1

Variantes

La Ciencia al servicio del paciente 2010

Diagnóstico

Molecular de: Microorganismos de Importancia Clínica, Virus respiratorios

Micobacterias como

Tuberculosis

E. coli patogenas

Sepsis, etc.

Dx Molecular Inactivación Extracción

Genesis y origen de la influenza A porcina (H1N1) virus

Aviar de Norte America avian Porcino Clasico derivado del virus de 1918 (España)

PB2 - Aviar de Norte America

PB1 - Humano H3N2

PA - Aviar de Norte America

H1 - Porcino Clásico

NP - Porcino Clásico

N1 - Aviar Eurasiático parecido a porcino.

M - Aviar Eurasiático parecido a porcino.

NS - Porcino clásico

Human o (H3N2)

Aviar Eurasiático parecido a porcino.

Influenza A (H1N1) Garten et al., Science, 2009 Dawood et al., NEJM, 2009

CASOS ANALIZADOS

Centro de Referencia para Influenza A H1N1, en el ISSSTE

Centro de preparación del medio de transporte viral

Se analizaron más de 3000 muestras

Entrega de resultados dentro de las primeras 24 horas

En el año 2012, fue el primer sitio donde se reportó

Influenza A H3N1

Identificando variantes moleculares del virus, a través de un método desarrollado por nosotros, lo que da origen al Registro de la “1er PATENTE” para el ISSSTE.

Diagnóstico molecular de virus respiratorios

12 virus respiratorios

15 virus respiratorios

16 virus respiratorios

Diferentes paneles para detección de: Adenovirus, metaneumovirus, coronavirus 229E y OC43, parainfluenza 1, 2 y 3, influenza A y B, virus sincicial respiratorio A y B, así como rinovirus A y B

Sincicial respiratorio A

Sincicial respiratorio B

Muestra Resultado

MG 1313

MG 1266

MG 1267

MG 1271

MG 1277 Parainfluenza 2

MG 1282 Sincicial respiratorio A

MG 1283 Sincicial respiratorio B

MG 1284 -

MG 1295 -

Muestra Resultado

MG 1261 -

MG 1265 Parainfluenza 3

MG 1409 -

MG 1418 Sincicial respiratorio A

M2a(RZJ) Coronavirus 229E/NL63

M1 Coronavirus OC43 y parainfluenza 2

M2 Para influenza 1

M3 Coronavirus 229E

M4 -

M5 -

M6 Parainfluenza 3

M7 Coronavirus 229E

MG 1340 Sincicial respiratorio A

MG 1361 Sincicial respiratorio A

Infraestructura en el

Centro Médico

Nacional 20 de noviembre

Dirección Médica

Hospital Regional “1° de Octubre”

Subdirección de Regulación y Atención

Hospitalaria

Hospital Regional

Dr. Valentin Gómez

Farías

Hospital Regional

Lic. Adolfo López

Mateos

Subdirección de Enseñanza e Investigación

Coordinación de Investigación

Jefaturas de División

Coordinación de Enseñanza e Investigación

Jefatura de Investigación

Jefatura de Enseñanza e Investigación

Jefatura del Departamento de Investigación

Coordinación de Enseñanza e Investigación

Jefatura de Investigación

DIAGNÓSTICO

MICOBACTERIOSIS

Diagnóstico Molecular de MICOBACTERIAS por PCR en Tiempo Real

positiva a Mycobacterium tuberculosis

Muestra

2IRPE/4IR

DIAGNOSTICO RÁPIDO: IMPACTO EN EL

CONTROL

DE LAS MICOBACTERIOSIS

ESQUEMA DE IDENTIFICACIÓN

AMIKACINA Y CEFOXITINA 2 SEMANAS M. chelonae

abscessus

fortuitum

avium

intracellulare

AMIKACINA Y CLARITROMICINA 2 SEMANAS

IMIPENEM 2 SEMANAS

CLARITROMICINA Y ETAMBUTOL 12 MESES

IMPLICACIONES DE TRATAMIENTO INADECUADO: Costos de hospitalización (días-cama, complicaciones, costos por falla en el tratamiento)

Riesgo de diseminación

Selección de cepas multidrogorresistentes

Elevación de la morbilidad y mortalidad de las micobacteriosis

M.

BIOPSIAS HUESO, PULMÓN, ABSCESO ETC

MUESTRAS LÍQUIDAS: ORINA,LCR, LÍQUIDO PLEURAL,

DIAGNOSTICO RÁPIDO: IMPACTO EN EL TRATAMIENTO Y CONTROL DE LAS MICOBACTERIOSIS

Método tradicional: 30 a 60 días

PCR Directa: 8 a 12 horas

Detecta: Género y 9 especies

Requiere 400 fg de DNA

Innovación requiere 100 fg de ADN

Ventajas: Tx específico y personalizado etc…

PROCESO

Extracción del ADN en 90 minutos 1. PCR de AMPLIFICACIÓN DE DNA, específico de microorganismos en aproximadamente 4 horas 2. PCR Tiempo Real, para Género y Resistencia, en 30 minutos 3. PCR- TR, para especie, en 30 minutos 4. RESULTADOS en sólo 8 H. vs 120 h 5.

DIAGNOSTICO RÁPIDO: SEPSIS

VENTAJAS

$ 350.00 1. DIRIGE EL DIAGNÓSTICO Y EL TRATAMIENTO 2. IMPACTA EN LA CÁLIDAD DE LA ATENCIÓN, 3. REDUCE TIEMPOS DE HOSPITALIZACIÓN Y 4. LOS COSTOS HOSPITALARIOS. 5.

ASISTENCIA EN EL TRÁTAMIENTO DE INFECCIÓN POSTQUIRÚRGICA

Fig. día 1
Fig. día 2
Fig. día 6
Fig. día 16
Fig. día 26

Caso 1

Px fem 47 años sospecha de

Enfermedad de Lime

Análisis para Sepsis

Staphylococcus aureus

Sensible a Van A y Met

48h, después sale de terapia intensiva

Estancia de 5 días

Reducción de costos y efectos adversos

CASOS

Caso 2

Px Fem 42 años DM 2

Dx de Tuberculosis

meníngea

Análisis para Micobacterias

NEGATIVO

Análisis para Sepsis

Aspergillus fumigatus

Voriconazol

72 h después sale de Tx

Intensiva

Métodos Tradicionales

Tiempos (variable)

Dependen de la interpretación del experto

Sensibilidad específica

Costo variable

Comparación

Métodos Moleculares

Tiempos (6 a 8h)

Eficientes

Exactos

Precisos

Sensibles

Económicos

Diversos

Altamente específicos

Implementación accesible

TIPO DE MUESTRA

Sangre total

Secreción bronquial

Líquido pleural

Hueso

Biopsia de Pulmón

Biopsia de vejiga

Biopsia de vagina

Biopsia de intestino

Lavado gástrico

Orina

Medula ósea, etc.

Tipo de Muestras Procesadas para Diagnóstico Molecular

SE IDENTIFICAN

MICROORGANISMOS COMO:

Staphylococcus aureus

Pseudomona aeruginosa

Escherichia coli

Enteroccocus faeium

Enterococcus faecalis

Acinetobacter baumanni

Aspergillus fumigatus

Virus sincicial

respiratorio

Stenotrophomona

maltophilia

Etc…

P. H. en la mujer del STE

ALTO RIESGO

BAJO RIESGO

CERVARIX ® :

2 serotipos (16 y 18), protección < 20%

Gardasil 4®

4 Serotipos (6,11,16 y 18) 25% protección Gardasil9®, serotipos (6, 11, 16, 18, 31, 33, 45, 52 y 58).

VACUNAS y PROTECCIÓN

CÁNCER 3ª Causa de muerte en México

Cáncer de mama, 1ª causa de muerte de la mujer mexicana

Clasificación molecular del cáncer de mama

Tipo Basal

Tipo Luminal

Permite dirigir el tratamiento de forma personalizada

EVALUACIÓN DE FÁRMACOS

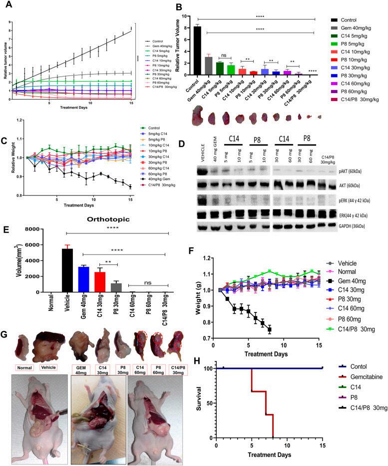
CONTRA EL CÁNCER PANCREÁTICO

Los resultados hasta hoy indican que : los Fármacos en evaluación, tiene efecto citotóxico sobre las células tumorales hasta en un 92%, sin afectar a las células sanas.

Ha generado: - 3 Patentes Nacionales e Internacionales .

INVESTIGACIÓN EN EL ISSSTE

¡LO QUE HAY!

Existen 4 laboratorios de punta en el país.

Existe el programa E0-15 para financiar proyectos de investigación en 8 áreas.

Generación de mucho conocimiento.

4 Patentes Nacionales e Internacionales.

30 Integrantes del S.N.I.

INVESTIGACIÓN EN EL

ISSSTE ¿QUÉ HACE FALTA?

CREAR LA FIGURA NÓMINAL DE INVESTIGADOR EN EL

ISSSTE.

CONVERTIR AL ISSSTE en un centro de validación de desarrollos Biomédicos.

Asignar Recursos para el Diagnóstico Molecular. Actualizar las plantillas de trabajadores para el ingreso de Biólogos Institucionalizar la Investigación Traslacional.

Perspectivas de solución

Identificar los desarrollos en tecnologías de la salud de los principales centros de investigación del país.

Crear una oficina Nacional de Transferencia de Tecnologías, que coadyuven a realizar los Ensayos Clínicos en las Instituciones de Salud, principalmente el ISSSTE por poseer a la población cautiva.

Facilitar la validación de los desarrollos biotecnológicos, para que lleguen al usuario final (paciente).

Perspectivas de solución

Crear un Laboratorio Nacional de Síntesis Orgánica, para la producción de medicamentos en México.

Reactivar la producción de Vacunas y Biológicos,

COMO TEMA DE SEGURIDAD NACIONAL y de DESARROLLO NACIONAL, en concordancia con

el

PLAN MÉXICO.

¿ CÓMO SE HACE LA INVESTIGACIÓN

EN MÉXICO?

FINANCIAMIENTO FEDERAL (SICIHTI – CONAHCYT) o E0-15

Colaboración entre pares de diferentes instituciones.

Las Universidades son quienes proveen de profesionales que tienen interés en realizar estudios de Posgrado Colaboraciones Internacionales.

No hay acceso a recibir premios o donaciones (ISSSTE).

Permitir que las empresas privadas apoyen la investigación para la consolidación, así se hace en los países desarrollados.

Perspectivas de solución

¿ CÓMO SE HACE LA INVESTIGACIÓN EN MÉXICO?

Legislar la participación del Financiamiento privado, para participar en proyectos de gran escala.

Permitir que las empresas privadas apoyen la investigación para la consolidación, así se hace en los países desarrollados.

Apoyar la difusión de la ciencia en espacios públicos, para que se conozca el trabajo a nivel nacional

¿QUIÉN Y CUÁNTO INVIERTEN EN

TRATAMIENTO QUIRURGICO DEL

MIELOMENINGOCELE

Neurocirujano pediatra.

MIELOMENINGOCELE

Definición:

Defecto del tubo neural (DTN) protrusión de meninges, médula espinal y LCR a través de un defecto vertebral.

Cierre del tubo l

Tercer semana de Gestación

Epidemiología

1-2 por 1,000 nacimientos sin fortificación con ácido fólico.

Principal causa de discapacidad física en niños (hidrocefalia, parálisis, vejiga neurogénica).

Factores de riesgo: Deficiencia de ácido fólico, antecedentes familiares, diabetes materna.

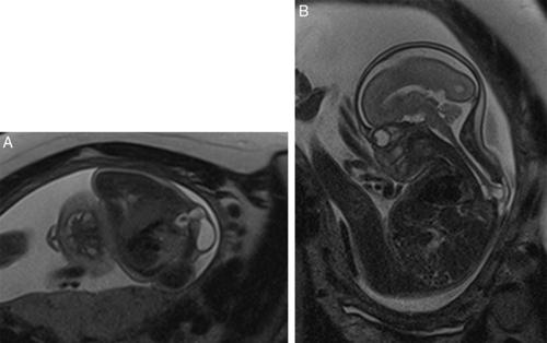
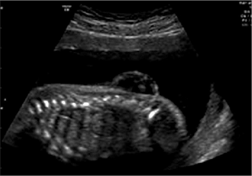
Diagnóstico Prenatal y Evaluación

Ecografía fetal: Identificación en el 2° trimestre (saculación en columna lumbar/sacra).

Resonancia magnética fetal: Evalúa grado de herniación, hidrocefalia asociada y malformaciones (ej. Chiari II).

Evaluación neonatal: Neuroimagen (USG cerebral para hidrocefalia).

Examen neurológico (nivel motor, reflejos).

Objetivos Quirúrgicos

Cierre primario del defecto: Prevenir infección (meningitis) y trauma neural. 1. Preservar función neurológica: Minimizar daño a médula expuesta. 2. Manejo multidisciplinario: Coordinar con neonatología, urología, cirugía plastica y rehabilitación. 3.

Timing Quirúrgico

Ideal: <72 horas post-nacimiento (reduce riesgo de infección y pérdida de LCR).

Excepciones: Prematuridad extrema o inestabilidad hemodinámica.

Defectos gigantes (requieren planificación reconstru

Pasos clave:

Técnica Quirúrgica

Posición: Decúbito prono con protección de puntos de presión.

Disección: Liberar médula de tejido fibroso y reintegrarla al canal vertebral. 2.

Cierre por planos: 3. Dura-madre (sutura hermétic

1. Fascia muscular (si es posible). 2. Piel (colgajos si hay tensión). 3.

Imagen: Esquema de cierre quirúrgico.

Complicaciones Postquirúrgicas

Inmediatas: Infección, fuga de LCR, dehiscencia de herida.

Tardías: Hidrocefalia (80% requiere derivación ventriculoperitoneal).

Siringomielia o médula anclada (30-40%).

clave: Seguimiento neurológico y de neuroimagen a largo plazo.

CIRUGÍA FETAL

Cirugía fetal: Cierre intraútero (MOMS)

Conclusión y Agradecimientos

Resumen: Cierre quirúrgico temprano = menor morbilidad.

Mejoría en calidad de vida y seguimiento integral.

Agradecimientos: De parte del Equipo médico, familias y pacientes.

Avances en la investigación Medica en Mexico

Avances en la Neurociencia y salud Mental: Innovaciones en el tratamiento de enfermedades neurológicas y psiquiátricas.

Estado Actual Areas de trabajo y campos de oportunidad.

Diferencias con otros centros internacionales.

Que necesitamos hacer y hacia donde dirigirnos.

Avances en la Neurociencia y salud Mental: Innovaciones en el tratamiento de enfermedades neurológicas y psiquiátricas. Perfíl.

Medico Cirujano por la Facultad de Medicina de la UNAM.

Especialista en Neurocirugia egresado del Hospital General de Mexico y de la Facultad de Medicina de la UNAM.

Alta especialidad en Neurocirugia Funcional y estereotaxia y Cirugia de Columna.

Maestria y Doctorado en Ciencias Medicas por la Faculta de Medicina en la UNAM.

Avances en la Neurociencia y salud Mental: Innovaciones en el tratamiento de enfermedades neurológicas y psiquiátricas.

Temas de interes en el desarrollo de lineas de investigación son el manejo de enfermedades psiquiátricas refractarias a tratamiento convencional y con un enfoque de manejo quirúrgico.

El manejo de los trastornos del movimiento como la enfermedad de Parkinson entre otras enfermedades al igual con un enfoque quirúrgico.

Avances en la Neurociencia y salud Mental: Innovaciones en el tratamiento de enfermedades neurológicas y psiquiátricas.

Estado Actual.

La investigación médica en México enfrenta desafíos como restricciones presupuestales, falta de financiamiento y problemas administrativos. A pesar de estos obstáculos, la comunidad científica sigue trabajando para encontrar soluciones.

En el desarrollo de la investigación y el manejo de enfermedades Psiquiátricas y Neurológicas siempre se va a necesitar un trabajo y colaboración multidisciplinaria para desarrollarlas.

Avances en la Neurociencia y salud Mental: Innovaciones en el tratamiento de enfermedades neurológicas y psiquiátricas. Estado actual.

Desafíos Restricciones presupuestales, Problemas administrativos, Falta de financiamiento, Desigual desarrollo científico entre disciplinas médicas, Centralismo en el área metropolitana.

Pocos centros especializados en el manejo multidisciplinario de estas enfermedades y con experiencia en el desarrollo de nuevas lineas de trabajo. Esto lo limita a grandes centros hospitalarios , principalmente de instituciones publicas que cuenten con la infraestructura, recursos humanos especializados en el tratamiento de dichas enfermedades.

Avances en la Neurociencia y salud Mental: Innovaciones en el tratamiento de enfermedades neurológicas y psiquiátricas.

Linea de trabajo (Psicocirugia)

El interés científico reavivó después de que una comisión nacional para investigar la salud de seres humanos que se habían sometido a dichas cirugías informara que no se podían atribuir déficits en la salud psicológica al procedimiento en sí y, por otra parte, tenía una eficacia de más del 50% (lo que era impresionante en comparación con la poca fiabilidad general de la mayoría de las terapias disponibles en ese momento).

Se desmintieron cuestiones éticas como el abuso de esta técnica en minorías étnicas con fines de control social. Las innovaciones más recientes en procedimientos quirúrgicos, como la cingulotomía, siguieron produciendo buenos resultados, incluyendo una mejora integral, con mayor inteligencia y habilidades verbales.

Source

Functional Neurosurgery, Stereotactic and Radiosurgery Unit Hospital General de Mexico

Bilateral cingulotomy and anterior capsulotomy applied to patients with aggressiveness.
Jiménez F, Soto JE, Velasco F, Andrade P, Bustamante JJ, Gómez P, Ramírez Y, Carrillo-Ruiz JD.

Experiencia

2000 al 2024 : 17 pacientes tratados con Lesion Bilateral de Cingulo y Brazo anterior de Capsula interna.

2005 al 2024:15 pacientes tratados con Lesión bilateral del Brazo anterior de Capsula interna.

2008 al 2024: 32 pacientes tratados con Lesión bilateral en Hipotalamo posteromedial

2020-2024: 30 Pacientes con lesion bilateral corteza del cingulo anterior para manejo de dolor cronico.

2015 al 2019 : 3 pacientes con ECP en ALIC y Accumbens para TOC y trastorno de ansiedad.

Avances en la Neurociencia y salud Mental: Innovaciones en el tratamiento de enfermedades neurológicas y psiquiátricas. Que necesitamos Implementar o cambiar.

Una de las principales razones de la reciente controversia en torno a la psicocirugía es que su fundamento teórico no se ha dilucidado.

Se requieren más estudios para explicar con precisión cómo estos cambios observados se correlacionan con las manifestaciones psiquiátricas finales, en relación con las alteraciones neuroquímicas y neuroanatómicas implicadas.

Un requisito previo sería que el diagnóstico se haya realizado con precisión y que la duración, la intensidad y los pasos de la terapia farmacológica y conductual se determinen previamente para definir qué significa un ensayo clínico adecuado en estos casos, antes de considerar la intervención neuroquirúrgica.

Avances en la Neurociencia y salud Mental: Innovaciones en el tratamiento de enfermedades neurológicas y psiquiátricas. Que necesitamos implementar o cambiar

Crear estrategias de manejo para los enfermos Psiquiatricos, pacientes con falla a tratamiento deben de ser considerados, tomando en cuenta regulaciones morales, eticas, gubernamentales, y acorde a un manejo multidisciplinario que siempre debe de ser dirigido por un Psiquiatra.

La firma de un consentimiento informado y la confirmacion del diagnostico y la indicacion debe de ser verificado por una autoridad independiente. Asi mismo una autoridad independiente debe de decidir que equipos o grupos son los calificados para realizar Neurocirugia para trastornos Psiquiatricos.

Avances en la Neurociencia y salud Mental: Innovaciones en el tratamiento de enfermedades neurológicas y psiquiátricas.

Que necesitamos Implementar o cambiar

Se pueden investigar y orientar los resultados para formular políticas y acciones que revertirán las tendencias negativas

Se pueden marcar prioridades para definir los problemas a investigar y los recursos que se les asignarán.

Temas Prioritarios de investigación Adicciones.

Enfermedades Poco Frecuentes.

Problemas Emergentes en Enfermedades Infecciosas.

Enfermedades Cerebro Vasculares.

Cáncer, Comunicación Celular y Metástasis.

Inequidades Sociales y del Sistema de Salud.

Depresión y ansiedad.

Avances en la Neurociencia y salud Mental: Innovaciones en el tratamiento de enfermedades neurológicas y psiquiátricas.

Perspectiva

Generar una comision para el desarrollo e investigación en el manejo de estas enfermedades.

De acuerdo a un marco legislativo y ético

Crear y apoyar la formación de centros especializados y con manejo multidisciplinario que se apéguen a los criterios de normatividad y avalados de acuerdo a los criterios internacionales para una mejor validez científica.

Todo lo que hacemos, cada pensamiento que hemos tenido, es producido por el cerebro humano. Pero exactamente cómo funciona sigue siendo uno de los mayores misterios sin resolver y parece que, cuanto más investigamos sus secretos, más sorpresas nos encontramos”.

Contenido

La investigación como eje integrador de la formación médica y la mejora en salud pública

Hospitales como plataformas de generación de evidencia

Centros de investigación como actores clave

Retos y oportunidades

Propuesta de acción

Conclusiones

La investigación como eje integrador

de la formación médica y la mejora en salud pública

La investigación médica en México ha sido fundamental para mejorar la práctica clínica y la salud pública.

Los hospitales y centros de investigación son pilares donde convergen la atención médica, la formación de profesionales y la generación de conocimiento.

Un enfoque integral conecta la investigación clínica, traslacional y epidemiológica con la toma de decisiones en políticas públicas.

Hospitales como plataformas de generación de evidencia

Los hospitales de alta especialidad funcionan como laboratorios vivos donde se valida la práctica clínica.

Se desarrollan protocolos, ensayos clínicos y estudios operativos que pueden ser escalados a nivel nacional

La investigación institucional alimenta directamente la formulación de guías clínicas oficiales y políticas sanitarias.

Hospitalescomo plataformasde generaciónde evidencia

Datoestadístico

ElHospitalGeneraldeMéxico"Dr.Eduardo

Liceaga"cuentacon43especialidades médicasyquirúrgicas,yofrece40cursos deMedicina,consolidándosecomoun centroclaveparalaformacióny generacióndeevidenciamédicaenel país.

Formaciónmédica conenfoque científico

Incorporarlainvestigaciónenlaformación médicapromueveelpensamientocríticoyético desdelaprácticaclínica.

Esesencialquelosprogramasderesidencia incluyanmódulosdemetodología,bioéticay análisisdedatosaplicadosaproblemasreales.

Laspolíticaspúblicaspuedenfortalecerestos modeloscurricularesanivelnacionalmediante normativasdeorganismoscomoCONACyTyla SecretaríadeEducaciónPública.

Centros de investigación como actores clave

Instituciones como el Instituto Nacional de Salud

Pública (INSP) generan evidencia que influye en políticas nacionales relacionadas con enfermedades crónicas, infecciosas y salud ambiental.

Estos centros actúan como puentes entre la ciencia, la clínica y la salud pública.

Requieren financiamiento sostenido y autonomía técnica para mantener su impacto en la formulación de políticas.

Dato estadístico

El Instituto Mexicano del Seguro Social (IMSS) desarrolla investigación en 40 unidades y cinco centros de investigación a lo largo del país, contando con 240 investigadores de tiempo completo y aproximadamente 270 médicos que realizan investigación clínica o epidemiológica de manera parcial.

Retos y Oportunidades

Existen brechas entre la generación de evidencia y su implementación efectiva en la práctica médica.

Falta de incentivos para la investigación aplicada en hospitales generales.

Necesidad de sistemas de información clínica interoperables.

Oportunidades: inteligencia artificial, salud digital, ciencia de datos y redes colaborativas con enfoque en políticas públicas.

A nivel global, se destinan 145 mil millones de dólares a la investigación clínica, lo que refleja el potencial y la necesidad de que México incremente su participación en este ámbito

Propuesta de acción

Fomentar políticas públicas que reconozcan a los hospitales como espacios de innovación e investigación.

Financiar proyectos clínicos vinculados a prioridades del sistema de salud.

Fortalecer la red nacional de hospitales investigadores con indicadores de impacto en salud pública.

Fortalecer vínculos hospital-universidad para formar médicos con competencias en ciencia, gestión y políticas de salud.

Conclusiones

La investigación clínica no solo mejora la práctica médica, sino que también orienta políticas públicas eficaces.

Los hospitales deben ser considerados pilares estratégicos del sistema nacional de ciencia, tecnología e innovación en salud.

Invertir en la formación médica con enfoque en investigación es apostar por un sistema de salud más equitativo, eficiente y sustentable.

¿Qué

es una política?

“Curso de acción seguido por un actor o grupo de actores con el propósito de hacer frente a un problema o situación”

Anderson 197

“Las políticas incluyen acción o inacción”

Hecio,1972

“Serie de actividades más o menos relacionadas y sus consecuencias – pretendidas o nopara aquellos involucrados”

Walt,1994

Se enfoca más en la hechura de las políticas: Procesos complejos, ocurren a lo largo del tiempo

El poder y los sistemas políticos

Regímenes liberales- democráticos/ igualitarios- autoritarios / tradicionales / populistas/ autoritarios

INPUTS

DEMANDAS RECURSOS APOYO

“CAJA

NEGRA” DE LA HECHURA DE POLÍTICAS

INSTITUCIONES DE GOBIERNO

OUTPUTS

POLÍTICAS PÚBLICAS

PARA BIENES Y SERVICIOS

Evaluación

Definición del problema

Implementación

Decisión política

Diagnóstico

Formulación de la política

Through the exercise of a Unified System composed of several population subsystems with social security and open population in the States

TRANSFORMATION OF THE NATIONAL HEALTH

SYSTEM IN MEXICO

TRANSFORMACIÓN DEL SISTEMA NACIONAL DE SALUD EN MÉXICO

Mediante el ejercicio de un Sistema Unificado compuesto por varios subsistemas de población con seguridad social y población abierta en los Estados

National Public Health Service Servicio Nacional de Salud Pública

Operation of a unified system in programmatic content, approach to population in the territory and coordination of care in integrated networks and with the support of essential Public Health services Operación de un sistema unificado en contenidos programáticos, abordaje de población

As a national universal health subsystem Como subsistema de salud universal nacional

Hinge Strategy for the transformation of the SNSP GOLI IGOL Health System

Bisagra Estrategia para la transformación del Sistema de Salud SNSP

y coordinación de atención en redes integrados y con apoyo de los servicios esenciales de Salud Pública

The world is becoming a cave like Plato's, with everyone looking at images and believing they are reality.

José Saramago

El mundo se está convirtiendo en una caverna igual a la de Platón: todos mirando imágenes y creyendo que son la realidad.

José Saramago

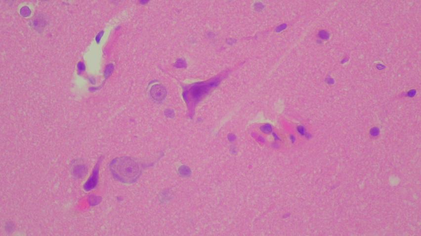
Section stained with hematoxylin and eosin (40X). A neuron (PFC) with extensive acidophilic cytoplasm and hyperchromatic nucleus is identified, compatible with very early degenerative changes in relation to the patient's age (<36 years). Corte teñido con hematoxilina y eosina (40X). Se identifica una neurona(CPF) con amplio citoplasma acidófilo y núcleo hipercromático compatible con cambios degenerativos muy precoces en relación con edad(<36 años) del paciente.

Décadas de 1950-1970: Fundación y consolidación institucional

z

• Crecimiento posrevolucionario: México buscaba consolidarse como un país moderno, y la ciencia comenzó a considerarse esencial para el desarrollo.

• Fundación de instituciones clave:

• UNAM (Universidad Nacional Autónoma de México) se fortaleció como centro de investigación.

• IPN (Instituto Politécnico Nacional) se consolidó en áreas técnicas y científicas.

• En 1970 se crea el CONACYT (Consejo Nacional de Ciencia y Tecnología), órgano fundamental para el financiamiento y la política científica.

Décadas de 1980-1990: Crisis y reformas

• Crisis económica afectó el financiamiento a la investigación.

• A pesar de ello, se fortalecieron los sistemas de posgrado y se lanzó el Sistema Nacional de Investigadores (SNI) en 1984 para reconocer y apoyar a los científicos mexicanos.

• Se promovieron vínculos con universidades extranjeras y cooperación internacional.

z

Años 2000-2010: Expansión y globalización

• Aumento del número de universidades e institutos con enfoque en ciencia y tecnología.

• Mayor participación de México en redes científicas internacionales.

• Se promovió la investigación aplicada y la vinculación con el sector productivo, aunque con desafíos persistentes en inversión.

z 2010 a la actualidad: Retos, debates y transformación

• Desigualdades regionales en investigación: la mayoría del trabajo científico sigue concentrado en pocas instituciones del centro y norte del país.

• En los últimos años, ha habido cambios controversiales en la política científica:

• El CONACYT pasó por una reforma significativa, priorizando ciencia “por el bien común” y más orientada a resolver problemas sociales.

• Críticas por el recorte de apoyos a proyectos básicos, cambios en becas, y tensiones con la comunidad científica.

• En 2023 se aprobó una nueva Ley General en Materia de Humanidades, Ciencias, Tecnologías e Innovación, que reestructura el sistema de investigación.

Panorama actual

• México tiene talento científico competitivo, pero sufre de falta de inversión (menos del 1% del PIB).

• Hay una creciente preocupación por la fuga de cerebros y falta de plazas académicas.

• Aun así, persiste el esfuerzo por descentralizar la ciencia, vincularla con las comunidades y hacerla más inclusiva.

z Transformaciones Institucionales y Legislativas

• Creación de la Secretaría de Ciencia, Humanidades, Tecnología e Innovación (SECIHTI): En enero de 2025, el Consejo Nacional de Humanidades, Ciencias y Tecnologías (CONAHCYT) fue elevado al rango de secretaría de Estado, dando lugar a la SECIHTI. Esta medida busca fortalecer la coordinación y promoción de políticas científicas y tecnológicas en el país. La doctora Rosaura Ruiz Gutiérrez fue designada como titular de esta nueva secretaría, con el objetivo de impulsar la soberanía científica e independencia tecnológica de México. 

• Nueva Ley General en Materia de Humanidades, Ciencias, Tecnologías e Innovación: En mayo de 2023, se promulgó esta ley que reemplazó al anterior marco legal y transformó al CONACYT en el CONAHCYT. La legislación enfatiza la orientación de la ciencia y la tecnología hacia la solución de problemáticas nacionales urgentes y promueve una mayor coordinación entre las instituciones científicas y el gobierno. 

Inversión en Ciencia y Tecnología

• Bajo Gasto en Investigación y Desarrollo (I+D): México ha mantenido una inversión en I+D inferior al promedio regional y de la OCDE.

En 2021, el gasto en I+D representó solo el 0.28% del PIB, mientras que el promedio en América Latina y el Caribe fue de 0.56%, y en los países de la OCDE, 2.72%.

Esta limitada inversión ha sido señalada como un obstáculo para

Proyectos Estratégicos y Avances Recientes

• Desarrollo de Satélites Nacionales: La SECIHTI ha impulsado proyectos para la construcción de satélites mexicanos, con el objetivo de fortalecer la capacidad tecnológica y la soberanía en el espacio. Este esfuerzo busca coordinar a diversas instituciones y aprovechar el talento nacional en el sector aeroespacial. 

• Lanzamiento del Nanosatélite Gxiba-1: Programado para 2025, este nanosatélite, desarrollado por la Universidad Popular Autónoma del Estado de Puebla (UPAEP), tiene como misión monitorear la actividad volcánica en México, especialmente del Popocatépetl. Su lanzamiento se realizará en colaboración con la Agencia de Exploración Aeroespacial de Japón (JAXA). 

• Observatorio del Español para Latinoamérica y el Caribe: En diciembre de 2024, el Instituto Cervantes y la UNAM anunciaron la creación de este observatorio, con el propósito de promover el español como idioma de referencia en las ciencias, contrarrestando la predominancia del inglés en el ámbito científico. 

z DESAFIOS ACTUALES.

Vulnerabilidad ante Emergencias Sanitarias: A cinco años de la pandemia de COVID-19, expertos han señalado que México sigue siendo vulnerable ante posibles nuevas emergencias sanitarias, debido a la falta de inversión en investigación científica y tecnológica, así como a la escasez de infraestructura y personal especializado en áreas críticas como la virología.

z

Perspectivas Futuras

La SECIHTI tiene como objetivo consolidar a México como una potencia científica y tecnológica, promoviendo la innovación y el desarrollo sostenible. Para ello, es esencial incrementar la inversión en I+D, fortalecer la formación de talento en áreas estratégicas y fomentar la colaboración entre el sector público, privado y académico. La implementación efectiva de políticas públicas y proyectos estratégicos será determinante para alcanzar estos objetivos y posicionar a México en el escenario científico y tecnológico global. 

El futuro de la Investigación médica en México: Estrategias para fomentar el desarrollo y la innovación

Dr. José Damián Carrillo Ruiz

Coordinación de Neurociencias y Psicofisiología,

Universidad Anáhuac México

Unidad de Neurocirugía Funcional, Estereotaxia y

Radiocirugía del Hospital General de México

Dirección de Investigación del HGM

Introducción

La investigación en cualquier lugar del mundo debe ser una prioridad para el crecimiento académico, económico, social y científico.

Principalmente en el área de Salud toma un papel primordial en la mejoría de las enfermedades en prevención y tratamiento.

1.

La investigación médica en México ha tenido un buen desempeño. Es importante que lo siga teniendo en el futuro.

2.

Apoyo a los grupos que han mostrado productividad científica de excelencia.

4.

3. En tiempos de apremios económicos, se pone a prueba la voluntad política.

5.

Desarrollo de nuevos grupos en áreas que han quedado rezagadas y que se relacionan con problemas epidemiológicos importantes para el país.

Si ésta se relega, la dependencia del extranjero se vuelve mayor, con sus efectos sobre la salud de la población.

1.

La carencia presupuestal guarda una estrecha relación con el PIB que México invierte en investigación y desarrollo: en las últimas dos décadas, ha oscilado entre 0.3% y 0.4%.

La recomendación del 1.5% emitida por la Organización de las Naciones Unidas UNESCO para los países en desarrollo. 2.

3.

El impacto negativo es en el número de investigadores como en el de publicaciones científicas,

Los sistemas de evaluación del trabajo de investigación implementados en México y en América Latina, desde 1980:

Capacidad de conseguir financiamientos externos y la de mantener un trabajo continuo sin solicitar la experiencia internacional (estancias e intercambios).

Escribir artículos.

Indicadores bibliométricos: factor de impacto (FI), índice H, índice G, índice AR.

Conformar un grupo interdisciplinario de evaluadores y establecer un conjunto de criterios consecuentes con cada una de las diferentes disciplinas. Promover la productividad y eficiencia a nivel grupal e institucional

Status de la Investigación médica en México

NOM-012-SSA3-2012

INNOVACIÓN

Creación o modificación de un producto, y su introducción en un mercado.

Real

Academia Española

10 Ejemplos de Innovación

Drones para entrega de productos. 1. Apps de realidad aumentada para educación. 2. Alimentos plant-based. 3. Smartphones con pantallas plegables. 4. Automóviles eléctricos con autonomía extendida. 5.

6) Ropa con tecnología “wearable".

7) Asistentes virtuales mejorados por IA.

8) Impresoras 3D para construcción y reparación

9)Paneles Solares Transparentes.

10) Plataformas de “streaming” con contenido personalizado.

Innovación en investigación médica

Es la creación y aplicación de nuevas ideas, tecnologías, procesos y servicios para mejorar la atención a los pacientes.

Innovación en la investigación médica

Implica la aplicación de conocimientos científicos y tecnológicos.

Mejora los resultados clínicos y la experiencia del paciente.

Transforma los modelos de negocio para atender las necesidades cambiantes.

Requiere un marco de reglamentación riguroso para evaluar la calidad, la seguridad y la eficacia.

Tiene un alto costo de investigación y desarrollo.

Tiene un componente ético.

Ejemplos

Telemedicina

Inteligencia artificial Aprendizaje automático,

Dispositivos portátiles Impresión 3D

Antimicrobianos

Tecnología

blockchain

Robótica

Nanomedicina

Internet de las cosas

Vendaje inteligente

Medidas locales

1.

Promoción desde las secundarias o las preparatorias, en el área médico-biológica.

2. Vinculación entre universidades y hospitales.

Incentivar a los grupos universitarios en áreas específicas: reuniones, congresos y publicaciones.

3. Fortalecer un posgrado de maestrías y doctorados que generen conocimiento.

4. Promoción en redes sociales.

5.

UAEM y la Investigación

Redes Sociales Universitarias

Políticas federales en Investigación médica

1.

Asignación de montos económico a la investigación.

Aporte monetario a universidades públicas.

2. Creación y mantenimiento de Centros e Institutos Médicos y Biomédicos.

3. Vinculación con Academias.

5.

4. Becas y promociones mediante SNI y SECIHTI (CONAHCYT) nacionales y extranjeras.

FONDOS FEDERALES

Conferencia Mañanera del 17 enero 2025:

2 millones de dólares a investigación clínica

Acad

Acad Acad Acad Coleg

CONCLUSIONES

Existe un gran talento de investigadores en la Medicina en México

Deben existir apoyos económicos y humanos para apoyar la investigación médica

Las estrategias de proyectos concretos deben sostenerse e incrementarse en el ámbito gubernamental y privado

Turn static files into dynamic content formats.

Create a flipbook
Issuu converts static files into: digital portfolios, online yearbooks, online catalogs, digital photo albums and more. Sign up and create your flipbook.
Foro EDOMEX 2025 by Contra Réplica - Issuu