Skip to main content

Nº45 / Junio - Agosto 2022

Page 1


El acceso a cantidades suficientes de alimentos seguros es clave para mantener la vida y promover una buena salud. Las enfermedades transmitidas por los alimentos suelen ser de naturaleza infecciosa o tóxica y, a menudo, invisibles a simple vista, causadas por bacterias, virus, parásitos o sustancias químicas que ingresan al cuerpo a través de alimentos o agua contaminados.

La seguridad alimentaria tiene un papel fundamental para garantizar que los alimentos se mantengan seguros en cada etapa de la cadena alimentaria, desde la producción hasta la cosecha, el procesamiento, el almacenamiento, la distribución, hasta la preparación y el consumo.

Con un estimado de 600 millones de casos de enfermedades transmitidas por los alimentos al año, los alimentos inseguros son una amenaza para la salud humana y las economías, y afectan de manera desproporcionada a las personas vulnerables y marginadas, especialmente mujeres y niños, poblaciones afectadas por conflictos y migrantes. Se estima que 420 000 personas en todo el mundo mueren cada año después de comer alimentos contaminados y los niños menores de 5 años soportan el 40 % de la carga de enfermedades transmitidas por los alimentos, con 125 000 muertes cada año.

El Día Mundial de la Inocuidad de los Alimentos, el 7 de junio, tiene como objetivo llamar la atención e inspirar la acción para ayudar a prevenir, detectar y gestionar los riesgos transmitidos por los alimentos, contribuyendo a la seguridad alimentaria, la salud humana, la prosperidad económica, la agricultura, el acceso al mercado, el turismo y el desarrollo sostenible. La Organización Mundial de la Salud (OMS) y la Organización de las Naciones Unidas para la Agricultura y la Alimentación (FAO) facilitan conjuntamente la celebración del Día Mundial de la Inocuidad de los Alimentos, en colaboración con los Estados miembros y otras organizaciones pertinentes. Este día internacional es una oportunidad para fortalecer los esfuerzos para garantizar que los alimentos que consumimos sean inocuos, incorporar la inocuidad de los alimentos en la agenda pública y reducir la carga de las enfermedades transmitidas por los alimentos a nivel mundial.

Día Mundial de la Inocuidad de los Alimentos

Año XXII / Nº45 / Junio - Agosto 2022

Directora Liliana Iglesias

Diseño Gráfico y Web

Lic. Gigi Aranzana www.behance.net/gigi-aranzana

Fotografía

Analía Markarian www.analiamarkarian.com.ar

Community Manager

Lic. Gigi Aranzana

Editor y Propietario

Liliana Iglesias

El editor no se hace responsable de las opiniones vertidas en los artículos firmados, que expresan exclusivamente el criterio de los autores; ni de los contenidos de los avisos publicitarios que se incluyen en la presente edición. Está prohibida la reproducción total o parcial de los artículos de esta edición. Nº de Registro Nacional de Propiedad Intelectual: 957551

CISALUD es una publicación de L.I. Ediciones de Liliana Iglesias

José Mármol 347,1ºA. CABA (C1183ACG) Buenos Aires-Argentina

Te: (011)15.6717.0123

Web: www.cisalud.com.ar

Mail: contacto@cisalud.com.ar

Facebook: /Revista-CISALUD

Twitter: /RevistaCISALUD

Instagram: /revistacisalud

Issuu: /cisalud

Sumario

Nota de

6

Tapa

Salud: ¿Cómo impulSar la innovaCión organizaCional?

Hoy nos encontramos inmersos en un mundo volátil, incierto, complejo y ambiguo, en donde la necesidad de innovar se convirtió en un imperativo organizacional. Las organizaciones necesitan movilizar y hacer fluir sus talentos, estructuras, tecnologías, productos y servicios cada vez más rápido o en ciclos cada vez más cortos para enfrentar los desafíos que se le presentan.

Calidad en Salud

16

organizaCioneS de Salud: eStrategiaS en la era Covid

La necesidad de flexibilidad en la toma de decisiones, repensar procesos y capacitar a los RR.HH. para brindar servicios con los gastos necesarios y no excesivos fueron algunos de los desafíos que tuvieron que afrontar los actores del sector de la salud.

20

patriCia d’aSte: “la Calidad viene aSomando en la agenda de la Salud”

La calidad y la seguridad del paciente son aspectos de la atención sanitaria esenciales para alcanzar objetivos nacionales: la mejora de la salud de la población, evitar eventos adversos y lograr un futuro sostenible y moderno para el sistema de atención.

Bioética, Salud & Derecho

22

“la importanCia de fomentar la Bioéti

Entrevista al Dr. Alberto San Miguel, Pre sidente Fundación Jaime Roca.

Ciencia e Investigación

24

tumor de CélulaS de Sertolileydig: a propóSito de un CaSo

Estudio de caso presentado por los Dres: Carelli, José; Lizarralde, Carolina; García Kamermann, Florencia; Villalba, Agustina; Ghiglione, Mercedes.

27

relevamiento SoBre la experienCia argentina Con antiConCeptivoS

Presentación sobre los resultados del relevamiento realizado en 2021 sobre la experiencia del uso de anticonceptivos.

Logística en Salud

32

luCaS Capuano: “proCeSamoS máS 125 milloneS de vaCunaS de Covid”

En lo que a logística en salud refiere, Andreani asegura los más altos estándares de calidad para que los productos/insumos del sector lleguen de manera rápida y segura a los pacientes.

Sostenibilidad Alimentaria

35

taBlero operativo de mermaS y SoSteniBilidad de alimentoS

Desde una iniciativa público-privada y con el objetivo de reducir el desperdicio de alimentos y sus consecuentes impactos económicos, sociales y ambientales, GS1 desarrolló una herramienta dinámica basada en inteligencia de negocios: Tablero Operativo de Mermas y Sostenibilidad de Alimentos.

Sostenibilidad y Consumo

45

tendenCiaS 2022

La pandemia produjo cambios en la mente de los consumidores a nivel global. Los hábitos de compra, hoy, no implican necesariamente lealtad de marca. Ante este contexto las empresas de todos los rubros deben adaptar sus modelos de negocios y sus redes logísticas tradicionales para afrontar este nuevo desafío: consumidor 2022.

Salud: ¿Cómo y para qué impulsar la innovación organizacional?

Hoy nos encontramos inmersos en un mundo volátil, incierto, complejo y ambiguo, en donde la necesidad de innovar se convirtió en un imperativo organizacional. Las organizaciones necesitan movilizar y hacer fluir sus talentos, estructuras, tecnologías, productos y servicios cada vez más rápido o en ciclos cada vez más cortos para enfrentar los desafíos que se le presentan. Lo que la organización hacía bien en el pasado ya no es una condición de éxito presente o futuro, es más, muy probablemente sea una barrera evolutiva que la misma organización tendrá que superar para poder seguir operando.

Ante este escenario, los líderes y ejecutivos se encuentran con la necesidad urgente de generar impacto, algo nuevo, en esencia generar algo que les permita ganar tiempo. Todos somos bombardeados por comunicaciones donde se muestra que la tecnología juega un papel disruptor en los negocios. Un nuevo lenguaje, códigos y nuevos acrónimos entran en etapa de hype o sobreexcitación, solo para mencionar algunos podemos pensar en: IA, RV/ RA, RPA, NFT, 5G/6G. Por otro lado, nuevos competidores, en general mucho más ágiles, irrumpen en un mercado globalizado y se convierten en una verdadera amenaza. También vemos casos de éxito por doquier, tanto de otros sectores como en competidores directos. La combinación y confluencia de estos factores puede además de generar malestar o inquietud organizacional, causar la impresión de que el resto de las organizaciones están siendo más exitosas, y los ejecutivos entonces son urgidos a tomar acción de forma inmediata. Esta presión se traduce al resto de la organización casi como una medida de supervivencia: innovar o morir.

Entonces, ¿por dónde empezar?, una posible respuesta, en principio tentadora, es caer en recetas ya hechas, recetas que en general si son mal copiadas, malinterpretadas, hacen derivar todos los esfuerzos al vacío. Estas recetas podrían ser, por ejemplo, implementar actividades para fomentar la innovación como: hackathons o talleres de pensamiento de diseño. También se podrían crear nuevas estructuras organizaciones responsables por la innovación y contratar expertos en el tema. Otra posibilidad podría ser el adoptar meto-

dologías ágiles, casi de modo dogmático, para concomitantemente establecer KPIs o indicadores de performance asociados a la innovación, pero desconectados del propósito o la estrategia organizacional.

Steve Blank, un emprendedor californiano, identificó estos patrones de comportamiento en todo tipo de organizaciones y los denominó “teatro de la innovación” o usando un giro local podríamos decir que se trata de humo de innovación o innovación cosmética. Y en este punto cabe mencionar dos distinciones importantes:

1/ La innovación tiene que estar asociada con la generación de valor en la organización. Si la innovación no genera valor, entonces estamos hablando de innovación cosmética o humo.

2/ La innovación no ocurre en el vacío, no existe el momento Eureka! desconectado del mundo. La innovación se gestiona y una de las claves del proceso de gestión es que tiene que permitir convertir la incertidumbre propia de lo nuevo en un riesgo controlado.

Hechas estas dos distinciones, para impulsar la innovación organizacional hay, en mi opinión, primero cuatro precondiciones basales que tienen que cumplirse:

1/ Se propicia un entorno de seguridad psicológica donde quienes son parte de la organización pueden experimentar, asumir riesgos, participar sin temor a represalias y donde las personas están cómodas expresándose y siendo ellas mismas.

2/ Los objetivos de innovación están alineados con los objetivos estratégi-

Un nuevo lenguaje, códigos y nuevos acrónimos entran en etapa de hype o sobreexcitación, solo para mencionar algunos podemos pensar en: IA, RV/RA, RPA, NFT, 5G/6G.

cos. Se tiene que poder explicar cómo la innovación ayudará a la empresa a transformarse y alcanzar sus objetivos organizacionales y a impactar finalmente en un sector productivo, un área o en la sociedad en su conjunto..

3/ Existen equipos heterogéneos, diversos y empoderados. Los equipos heterogéneos aportan múltiples perspectivas incrementando, por lo tanto, las probabilidades de identificar soluciones únicas y creativas para luego ser capaces de avanzar con autonomía y responsabilidad...

4/ Se practica la innovación abierta como un medio para expandir la creación de valor de la organización.

Estas precondiciones son necesarias pero no suficientes. Creo fuertemente también que hay que estimular algunos comportamientos claves tanto a nivel organizacional como en el ámbito de los equipos, los más relevantes para mí son:

1/ Hay que enfocarse en los resultados, en el impacto buscado y no en las actividades per se para cumplir con un mandato. De nada sirve hacer, por ejemplo, un hackathon, si con el resultado del mismo no vamos a hacer nada.

2/ La tecnología es para apalancarse, no para enamorarse. Es un medio, no un fin en sí mismo. Hay que evitar caer en la trampa del uso solo de la tecnología porque está de moda.

3/ Tenemos que fomentar la experimentación basada en pruebas de hipótesis por medio del desarrollo iterativo de prototipos rápidos para constatar la validez o no de la misma. Que el desarrollo sea iterativo nos permite aprender durante el proceso y modificar nuestras acciones en caso que lo necesitemos.

4/ Es fundamental poder hablar de los errores y compartir los aprendizajes durante el proceso tanto dentro del equipo como con el resto de la organización. Y con errores, específicamente no me refiero a temas asociados a performance individual, sino a temas relacionados con la ponderación del

La innovación tiene que estar asociada con la generación de valor en la organización.

Hay que fomentar la colaboración y el trabajo sobre las ideas de otros, de otros equipos, de otras organizaciones, de otras industrias.

riesgo de las ideas dentro del contexto evaluado.

5/ Hay que fomentar la colaboración y el trabajo sobre las ideas de otros, de otros equipos, de otras organizaciones, de otras industrias. El objetivo es minimizar el sesgo en contra de ideas externas.

6/ Este es un comportamiento denominado síndrome NIH por sus siglas en inglés (“Not invented here”) y en su defecto hay que promover el lema “Inventado en otro lugar”. Este sesgo está anclado en la creencia de que lo generado internamente o por el equipo es intrínsecamente más adecuado, más seguro, más rápido de implementar y más barato que las implementaciones o trabajos ya existentes.

En resumen, el entorno actual influye sobre las organizaciones y los líderes de las mismas a que se vuelvan más innovadores; en respuesta, hay que promover y afianzar nuevos comportamientos en los equipos de trabajo. En conjunto, estos comportamientos actuarán como modeladores de la cultura organizacional y permitirán impulsar la innovación para prosperar en un momento de oportunidades inusitadas•////////////////

Por Diego Branca IT Site Head Roche

Bibliografía

1/ Blank, S., 2019. Why Companies Do “Innovation Theater” Instead of Actual Innovation. HBR.

<https://hbr.org/2019/10/why-companies-do-innovation-theater-insteadof-actual-innovation>

2/ Viki, T., 2020. What Is Innovation Theater?. Forbes. <https://www.forbes.com/sites/tendayiviki/2020/05/24/what-is-innovation-theater/?sh=72823f706894>

3/ Vega, G., 2019. El gran teatro de la innovación. El País. <https://elpais.com/retina/2019/04/10/ tendencias/1554897067_281905.html>

4/ Aghina W., 2018. The five trademarks of agile organizations. Forbes. <https://www.mckinsey.com/businessfunctions/people-and-organizationalperformance/our-insights/the-fivetrademarks-of-agile-organizations>

5/ Rigby D., 2016. Embracing Agile. HBR. <https://hbr.org/2016/05/embracing-agile>

6/ Melamed A., 2022. Seguridad psicológica: por qué es una herramienta clave en el nuevo contexto de trabajo post pandémico. Infobae. <https://www.infobae.com/tendencias/talento-y-liderazgo/2022/03/22/ seguridad-psicologica-por-quees-una-herramienta-clave-enel-nuevo-contexto-de-trabajopospandemico/#:~:text=Una%20 cultura%20de%20seguridad%20psicol%C3%B3gica,o%20compartir%20 una%20nueva%20idea> 7/ Camps Coma X., 2015. Cómo y por qué crear una estrategia de innovación. World Economic Forum. <https://es.weforum.org/agenda/2015/03/como-y-por-que-crearuna-estrategia-de-innovacion>

transformar Salud: un Caso de innovación federal

Innovar en los sistemas de salud siempre es un desafío, pero en Argentina con un sistema tan complejo y fragmentado ese reto es aún mayor. Transformar Salud es un programa creado por la Fundación Garrahan y Roche Argentina para promover la transformación digital, la innovación en los procesos y la sostenibilidad del sistema de salud mediante la participación de los propios efectores sanitarios de todo el país.

A través de este programa, se busca promover la innovación y el involucramiento tecnológico a través del desarrollo y la implementación de herramientas digitales, que permitan generar procesos más ágiles y eficientes, promoviendo el impacto positivo en las diversas áreas de trabajo de los efectores públicos y la transformación de los hábitos de los principales actores y beneficiarios del sistema de salud nacional. Empoderar a los efectores de salud y a sus equipos fortalece el recurso humano a través de la incorporación de estas nuevas capacidades y les da la oportunidad de asumir un nuevo protagonismo como agentes encargados de crear, impulsar y aplicar dichas acciones. Por último, buscamos estrechar los lazos comunitarios y dar vida a un espacio de intercambio en el que estén representados todos los actores que conforman el sistema sanitario.

Convocatoria

En Septiembre de 2021, se lanzó la convocatoria para presentación de proyectos y luego de un proceso de selección, por medio de un jurado externo a la organización del concurso, se eligieron 3 proyectos ganadores (Misiones, Buenos Aires, Salta) y 2 menciones especiales (Neuquén, Mendoza).

Todos ellos hoy se encuentran en la etapa de implementación, con fecha de finalización aproximada en Noviembre 2022.

Al respecto, Diego Branca, IT Site Head

Roche, expresó que “estamos enormemente orgullosos del programa porque confirma cómo por medio de alianzas público-privadas podemos generar impactos positivos en el sistema de salud y en sus equipos humanos, ayudando a instalar nuevas capacidades”.

Por su parte, la Dra. Silvia Kassab, Directora Ejecutiva Fundación Garrahan destacó que “Roche y Fundación Garrahan, a través de este programa, posibilitan concretar proyectos en hospitales de diferentes niveles en las regiones de nuestro país, atendiendo a la mejora continua e innovación para brindar una salud equitativa y un acceso garantizado”.

Habrá una segunda edición del concurso durante el 2023. Pueden seguir todas las novedades del programa en https://www.transformarsaludfundaciongarrahan.org/ o escribir a: transformarsalud@fundaciongarrahan.org•///////////////////////////////////////

...por medio de un jurado externo a la organización del concurso, se eligieron 3 proyectos ganadores (Misiones, Buenos Aires, Salta) y 2 menciones especiales (Neuquén, Mendoza).

Calidad en Salud

II Jornada Salud CPCE

organizaciones de Salud: estrategias en la era Covid

La necesidad de flexibilidad en la toma de decisiones, repensar procesos y capacitar a los RR.HH. para brindar servicios con los gastos necesarios y no excesivos fueron algunos de los desafíos que tuvieron que afrontar los actores del sector de la salud.Durante la II Jornada de Salud, organizada por el Consejo Profesional de Ciencias Económicas de la Ciudad de Buenos Aires- CPCE- se planteó esta temática : Estrategias desde los diferentes actores en el Sistema de Salud”moderada por el Lic. Ariel Goldman, Presidente de la Asociación de Economía de la Salud -AES-.

De izq. a der. Lic. Ariel Goldman - Presidente AES-; Mg. Natacha Crudi-Fundación Garrahan-; Dr. Roberto Dalmazzo- UCES-; Dr. Javier Turienzo - Ministerio de Salud-;Dra. Silvia Kassab -Dir. Ejecutiva Fundación Garrahan-; Lic. Hugo Magonza,- Director CEMIC-; Lic. Guillermo Oggier-OSPE-

En el marco de la jornada, el Dr.C.P. Roberto Dalmazzo, Mg en Administración de Servicios de Salud -UCES- aclaró que no necesariamente la pandemia nos dejaría enseñanzas ya que “los seres humanos, en crisis generamos una conducta y luego no la olvidamos fácilmente”. Sin embargo, destacó algunos puntos importantes acerca de cada uno de los actores del sistema.

Sobre el rol del Estado resaltó su accionar y subrayó que “si bien, desde lo operativo puede delegar la atención de la salud, debió aprender acerca del rol indelegable en el aseguramiento pleno del derecho a la salud de todos”; lo cual llevó a intervenir con políticas activas desde la vacunación hasta la provisión de equipamiento o distribución de los recursos humanos.

En cuanto al sector prestacional privado, el especialista expresó que “la lección más importante fue el deber de mirar la relación entre ocupación, los ingresos y los costos, repensando procesos y capacitando a los recursos humanos para brindar servicios con los

A partir de marzo 2020, los procesos de digitalización se aceleraron enormemente, especialmente, para el sistema de salud.

gastos necesarios y no excesivos”; en este sentido expresó que “no alcanza con tener los sanatorios y las clínicas al 100% ocupadas”; destacó.

Sobre el sector financiador, aclaró que “el norte no debería ser el aumento de cuotas indefinidas, sino que debió aprender sobre la integración de la estructura de costos para que sea sustentable, de lo contrario se quedará sin clientes”, afirmó.

En cuanto a las “lecciones para la población”, Dalmazzo subrayó dos cuestiones fundamentales:a)la pertenencia a un grupo de privilegio NO asegura su bienestar y, b) es imposible ser ganador en un mundo de perdedores…; sobre este último punto se refirió a “la salud como derecho y deber colectivo”.

Finalmente, cuestionó “¿qué lecciones aprendieron los gestores que insisten en hacer siempre lo mismo y “esperan” distintos resultados…?”.

Para concluir, Dalmazzo expresó que la pandemia demostró la necesidad de flexibilidad en la toma de decisiones, la importancia de la capacitación continua y la necesidad de contar con datos para movilizar los recursos del sistema.

A su turno, el Lic. Hugo Magonza, Director General del CEMIC, destacó la participación del Dr. C.P. Javier Turienzo, Director Nacional de Integración de Coberturas del Ministerio de Salud de la Nación, quien usó proyecciones de largo plazo y está trabajando sobre planificación estratégica en salud y no solo trabajando sobre el corto plazo, al respecto Magonza expresó que: “está muy bueno que se piensen las políticas de salud a futuro”, resumiendo con esta frase la importancia del sector público en su rol rector y regulador del sector.

Sobre el subsector privado, en el cual

trabaja desde hace 40 años, el ejecutivo del CEMIC coincidió que los problemas “no se resuelven con aumento de cuota” aseguró. Como fundamento esgrimió que “la Argentina invierte más del 9% del PBI en salud, de los cuales el 30% es desembolso privado y la mitad es gasto de cuota o parte de la cuota y, el restante es gasto de bolsillo puro, que afecta más a los que menos tienen”, aclaró Magonza y agregó que “el problema es que esta fragmentación del sistema genera superposición de recursos mal gastados; se deben poner las cosas en su lugar, administrar, el recurso escaso”. En ese sentido, destacó que “hay mucho para hacer”. Por ejemplo, el 25 a 30% es gasto innecesario de medicina defensiva:prácticas que se solicitan por miedo a un juicio de mala praxis sin generar valor al diagnóstico o tratamiento. A partir de este escenario, “es necesaria información ágil y rápida para no pedir demás y una estructura jurídica sólida que le permita al profesional decir que no”, afirmó el Hugo Magonza. También puso el acento en el gasto innecesario que genera la burocracia de trámites administrativos…

En resumen, “el problema del sector es la capacidad y posibilidad de gestión, que hace necesario repensar los procesos tanto internos de las instituciones como los del sistema en su conjunto”, destacó Magonza. Por otro lado, respecto de la población, subrayó que, “en el 2001, la salud estaba en el puesto 14 como principal problema de la gente, con apenas el 0,2% de votos”. En medio de la pandemia, “la preocupación de la gente por el sistema de salud aumentó al 0,7%, lejos de estar en los primeros puestos, y en la última encuesta que organizó la UBA, en el mes de abril 2022, no figuraba entre los primeros 14 problemas de la población”, reveló el ejecutivo del CEMIC.

Consecuentemente, “si no está en la agenda de la gente, no va a estar en

la agenda de la política y difícilmente pueda mejorarse la gestión del sistema”, afirmó. Para cerrar, destacó el rol del sistema, que se encontraba al borde del abismo, durante los primeros dos años de la pandemia. Por otro lado, felicitó al personal, cuyo ausentismo fue muy bajo, mucho más que el habitual y enfrentó a la pandemia con los mismos temores que la población general. Luego expuso sobre acciones concretas que debieron tomarse como aprovisionamiento de insumos de protección personal, incremento de camas, adquisición de equipamientos, sectorización para la atención de pacientes infectados o sospechosos, descentralización de la atención de pacientes NO Covid, incorporación del seguimiento de los pacientes a distancia (Telemedicina) y la apertura de sede extrahospitalaria para internación de pacientes COVID (+). Además, observó que se debió aumentar la capacitación y la comunicación con los profesionales, las acciones docentes hacia la comunidad y la investigación.

Como conclusión, Magonza mostró que los gastos en factores productivos de la salud aumentaron muy por encima de los salarios (fuente de financiamiento de la seguridad social) y las cuotas, previamente y durante la pandemia, llevando al sistema a ajustar permanentemente, poniendo en verdadero riesgo la sustentabilidad del mismo.

Por su parte, el Lic. Guillermo Oggier, Jefe Presupuesto en OSPE expuso sobre las transformaciones tecnológicas de la salud. Sobre este tema, presentó el acrónimo V.U.C.A. (volatilidad, incertidumbre (la U del término uncertainty), complejidad, ambigüedad) como diagnóstico de la sociedad, “que nos transforma día a día y con una velocidad cada vez más rápida”.

Según V.U.C.A, en 2017, las tendencias para los Seguros de Salud indicaban que el camino era orientarse hacia la

experiencia del usuario/beneficiario, la digitalización y la analítica de datos, todo esto bajo el gran paragÜas que es el Big Data, definido por el volumen, la variedad, la validez, el valor y el manejo de la información. A partir de marzo 2020, los procesos de digitalización se aceleraron enormemente, especialmente, para el sistema de salud.

La telemedicina es un ejemplo, la cual estaba presente con anterioridad, pero se incorporó casi obligatoriamente con la pandemia, “los cambios llegaron por la crisis”, aclaró el ejecutivo de OSPE, y destacó que “la transformación digital requiere dos grandes cambios: el primero es cultural en las personas y las organizaciones, y aquí es necesario nuevas y más capacitaciones; el segundo es la apertura mental que se necesita para recibir nuevas tecnologías que transformará la manera de gestión del sistema de salud.

A continuación, Oggier relató cómo fue el pasaje del trabajo tradicional al trabajo remoto, y las dificultades que se acarrearon; desde la necesidad de dar disponibilidad de sistemas a los empleados hasta mantener los flujos de contacto con los beneficiarios y prestadores. Asimismo, se debieron adaptar la digitalización de tareas, recibir documentaciones electrónicas, trabajar con recetas digitales o asegurarse que los tratamientos crónicos se continúen. En este esquema, “el sistema salió airoso y logró adaptarse rápidamente, gracias al personal de salud, que a pesar de trabajar horas demás y estar desgastados, se pusieron al hombro al sistema” afirmó el disertante.

Según expresó Oggier, esto “se debió al propósito que motiva al personal de salud a actuar, y este está en su esencia”, afirmó.

Además, presentó un modelo de cuádruple meta para la transformación digital: la primera, debe brindar una buena experiencia del paciente; la segunda, debe mejorar la salud de la población, la tercera, debe ayudar a reducir costos; y la cuarta, debe brindar bienestar al equipo de atención en salud. Como conclusión, Oggier dijo que “el 20 de marzo nos obligó a reflexionar sobre el modelo de trabajo que debíamos implementar y esto se tradujo en un conjunto de cambios”.

Sobre el sistema de salud y el impacto de la pandemia, los expositores concedieron en cuatro puntos claves:

1/ Que gran parte del éxito se debió a cómo actuaron los equipos de salud, adaptándose a los cambios y enfrentándose a lo desconocido, más allá del cansancio y el medio.

2/ La necesidad de capacitación permanente, especialmente sobre las nuevas tecnologías informáticas de comunicación.

3/ La problemática de los gastos; hay mucho para trabajar en la contención y reducción de los mismos; para esto, es necesario un cambio en el modelo de gestión que permita asegurar la sustentabilidad del sistema. La transformación digital será clave.

4/ La necesidad de flexibilidad en la toma de decisiones y apertura mental. El cambio cultural permitirá adaptarse a la velocidad de los cambios•///////////

patricia d’aste: “la Calidad viene asomando en la agenda de la Salud”

La calidad y la seguridad del paciente son aspectos de la atención sanitaria esenciales para alcanzar objetivos nacionales: la mejora de la salud de la población, evitar eventos adversos y lograr un futuro sostenible y moderno para el sistema de atención.

Mg. Patricia D’Aste

Prosanitas BSC

Sin embargo, ¿se puede hablar de Calidad Asistencial en un país sin registros creíbles, sin capacidad de respuesta frente a los problemas propios de las realidades provinciales, como si se tratara de una realidad ajena, sin un sistema de premios y castigos que diferencie a los prestadores por su calidad de atención y resultados clínicos, sin una motivación para ser mejores, sin una mirada integradora entre el sistema de formación de los recursos humanos de la salud y el sistema de instituciones dadoras de empleo?

A pesar de que estas preguntas no son respondidas, se avanza con la aplicación del concepto de calidad para los servicios de salud, otorgándoles cada vez más importancia.

En las últimas décadas varios de los países latinoamericanos han desarrollado importantes iniciativas en materia de calidad y seguridad de los pacientes. A modo de ejemplo, en febrero de 2001 México inició su “Cruzada Nacional por la Calidad” con el objetivo de elevar la calidad de los servicios y llevarla a niveles aceptables en todo el país; Perú ha introducido un sistema nacional de acreditación de centros sanitarios con una nueva propuesta en implementación durante 2007; Costa Rica ha liderado el compromiso con las actividades en seguridad del paciente; Brasil ha desarrollado importantes ejercicios de evaluación de la calidad y promovido estrategias de mejora desde la acreditación a la promoción de la seguridad del paciente; Colombia dispone de un sistema de reporte de efectos adversos de la atención sanitaria; Uruguay avanzó con legislación y normas de contralor de los financiadores y prestadores de su sistema y Chile cuenta con un sólido recorrido en iniciativas para el control de las infecciones asociadas a la atención sanitaria.

El desafío de poner en funcionamiento un plan de calidad y organizar un sistema de gestión del mismo no es tarea fácil y supone impulsar un cambio cultural. Por lo tanto, se requerirá de un esfuerzo sostenido que involucre a todos los miembros de la institución para

superar las resistencias, compartir los desafíos y construir en conjunto herramientas de integración de los talentos y habilidades.

El sistema de la calidad se sustenta en la medición de resultados, la gestión por procesos, la satisfacción de los pacientes y sus familias, porque su meta es lograr la mejora continua. Todos los actores de la organización deben participar de esta cultura enfocada en satisfacer las necesidades de los pacientes y su seguridad en cada tramo de la atención.

Podemos considerar muchos factores que pueden favorecer e impulsar un saludable funcionamiento de la calidad y por lo tanto que deben ser incluidos como pilares de esta planificación: el analizar y comprender cómo se hacen las cosas, normalizar procesos y procedimientos, medir con indicadores inteligentes y acreditar estándares nacionales que robustezcan el desempeño con calidad.

Estas herramientas permitirán mejorar el trato y disminuir los errores clínicos y administrativos, lo cual posibilitará tener un mejor manejo, que sin duda será reconocido por la población. Por esto hablar de Calidad en Salud no debería reducirse a mirar los gráficos de torta de las Encuestas de Satisfacción

de Pacientes donde el decir de las personas queda reducido a un número estadístico, muchas veces desvalorizado. Trabajar para mejorar la satisfacción del cliente interno, la relación con los pacientes y sus familias, encontrar y aislar riesgo, resolver errores, motivar a los equipos, involucrar a todos los actores transmitiendo que el control del error nos hará más fuertes, requiere de líderes comprometidos y formados, con capacidad de ser veraces y de admitir errores, pero fundamentalmente, conscientes del potencial de la participación de sus gente.

Los equipos de salud necesitan sentirse parte de una organización que los necesita y los reconoce, que avanza hacia los nuevos cambios que el sistema y el mundo necesitan, son la esencia de la cultura de calidad.

A diferencia de cómo se visibilizaba la calidad hace algunas décadas atrás, destacando la calidad técnica individual de algunos profesionales o equipos, hoy la calidad consiste en responder de manera orgánica y armónica con acciones de calidad que puedan ser reconocidas por los pacientes y sus familias.

Algunos mitos se descubren en el decir cotidiano, la calidad no es lujo o confort, porque el sistema sanitario debe impulsar la condición de que sea igual para todos los niveles de atención independientemente, de la institución que preste el servicio. Tampoco es una línea de llegada que una vez alcanzada ya no hay que seguir esforzándose, sino más bien es una línea de partida porque estamos hablando de un proceso continuo y virtuoso que se alimenta de la experiencia. Por lo tanto, tampoco es cierto el mito de que la calidad sólo depende de las más altas esferas de autoridad sino que involucra a toda la organización como un organismo vivo.

La cultura de la calidad lidera el desafío de evaluar todo este proceso en su con-

junto, objetivando, comparando y generando conocimientos para enriquecer las acciones cotidianas mediante protocolos, estándares y correcciones de alto valor agregado. Cambiar la cultura no es fácil, sin embargo, no sólo debemos crear una cultura de calidad sino además ser conscientes de la trascendencia de la calidad asistencial. Debemos partir primero por el equipo directivo de la organización e identificar a aquellos líderes que servirán para influir en la población interna y llegar a todos los componentes del equipo de una forma clara y concreta, entregando el mensaje final de lo que significa trabajar con calidad.

Generar información y evidencias sobre la calidad: a) desarrollar inteligencia de información y monitorear mediante herramientas de medición de la situación de la calidad y seguridad del paciente en cada servicio; b) disponibilizar y hacer accesible la información sobre las evidencias en la calidad y la seguridad del paciente haciendo uso de medios visuales.

Promover la participación de los pacientes en temas de calidad: a) difundir y proteger los derechos y deberes de los

pacientes y profesionales sanitarios en cuanto a la calidad de la atención sanitaria y seguridad del paciente, como el respeto a la vida privada, a la valores, creencias y a la integridad personal; b) incorporar herramientas para la evaluación de la satisfacción de los usuarios de los servicios sanitarios; c) promover la creación y fortalecimiento de iniciativas de los usuarios en materia de mejora de la calidad y seguridad del paciente.

Trabajar en calidad no sólo es posible, es una obligación de todos los decisores públicos y privados. Sin embargo, los líderes de la calidad no se improvisan, se forman en espacios donde el control del error debe convertirse en una virtud gracias al dominio de herramientas de medición y educación. Las evidencias de su efecto positivo superan ampliamente cualquier análisis de costos. Y si queda alguna duda, al igual que con la educación podemos afirmar que si la calidad es cara, pruebe con los errores• ////////////////////////////////////////////////////

Mg.Patricia D’Aste Presidente de ProSanitas BSC Argentina y Uruguay

En las últimas décadas varios de los países latinoamericanos han desarrollado importantes iniciativas en materia de calidad y seguridad de los pacientes.

“la importancia de fomentar la Bioética”

Es una enorme satisfacción recibir cada año los trabajos de profesionales provenientes de distintos países...

Dr. San Miguel, desde hace más de 11 años la FJR organiza la entrega del Premio de Bioética. ¿Por qué es importante fomentar este tipo de incentivos?

A.S.M.: Promover este premio no sólo tiene relevancia académica para los profesionales vinculados a carreras del campo de la salud sino que es una invitación a la reflexión sobre aquellas circunstancias en los que se ponen en juego implicaciones morales y éticas; es un llamado a la acción para generar cambios en las actitudes y comportamientos, para generar profesionales más conscientes y sensibles a los valores y derechos de las personas.

Como presidente de la Fundación, ¿qué significa el haber recibido tantos trabajos y haber contado con jurados de especialistas expertos en Bioética a lo largo de todos los años?

A.S.M.: Es una enorme satisfacción recibir cada año los trabajos de profesionales provenientes de distintos países, que nos permiten reflexionar sobre situaciones de mucha complejidad. Por su parte, el jurado ha estado conformado por prestigiosas figuras referentes del campo de la bioética, provenientes de distintas corrientes de pensamiento, que han enriquecido la pluralidad en el debate y elevado el prestigio de este Premio.

¿Considera que la Bioética podría cambiar la mirada y generar cambios en las actitudes en la formación de los profesionales de la salud?

A.S.M.: Resulta ineludible incluir la bioética en el círculo de todos los programas formativos para el personal de la salud para favorecer un cambio en el comportamiento y actitud que posibili-

Dr. Alberto San Miguel, Presidente Fundación Jaime Roca

te promover a futuro una relación médico-paciente más saludable, eficiente, ética, segura y de alta calidad.

A partir de la pregunta anterior, y como profesional de la salud ¿Cómo definiría a la Bioética?

A.S.M.: Independientemente de las distintas interpretaciones que podemos encontrar acerca de lo que es y lo que aporta la bioética, podemos decir que ésta se define como un espacio de reflexión multidisciplinario clave para abordar con éxito los problemas complejos suscitados en el ámbito de la atención sanitaria; ampliando su enfoque al estudio de los factores naturales, tecnológicos y sociales que pueden tener impacto sobre la salud humana y la biosfera en su conjunto. En este sentido, la bioética promueve por ejemplo la modificación del modelo paternalista en la relación médico-paciente y prevé una revisión del proceso de atención médica en toda su extensión.

En el último encuentro “Premio Bioética 2021” se realizaron, además del Premio, la entrega de diplomas a médicos residentes en el área de Diagnóstico por Imágenes. ¿Por qué decidieron hacer las entregas a los médicos residentes en el marco del premio? ¿Qué pudo representar este acto en la mirada de esos futuros profesionales del diagnóstico por imágenes?

A.S.M.: Quisimos instalar la experien-

cia del premio en nuestros residentes para que fuesen testigos de la importancia de tener un enfoque ético y una sensibilidad social en la práctica de la medicina. La bioética no sólo debe estar presente en los avances de la ciencia, sino también debe ser parte esencial de las decisiones sobre el abordaje de un paciente.El impacto de la inclusión del premio en la ceremonia de egresados fue muy positivo, de hecho, despertó tal interés en los residentes que desde la dirección académica se comenzaron a contemplar este año actividades vinculadas al mundo de la bioética.

¿Cómo visualiza la próxima edición, se han inscripto muchos participantes para el premio Bioética 2022, hasta el momento?

A.S.M.: Creo que este año será muy productivo en la convocatoria, tal como lo fue el 2021

La inscripción comenzó en marzo. De momento, hemos recibido muchas consultas y de a poco van llegando los trabajos, pero por experiencia, a partir de junio es cuando los participantes comienzan a enviar masivamente sus producciones.

¿Hasta cuándo pueden inscribirse los postulantes del Premio Bioética 2022?

A.S.M. :La recepción de trabajos es hasta el 30 de septiembre de este año, inclusive•//////////////////////////////////////

La bioética no sólo debe estar presente en los avances de la ciencia, sino también debe ser parte esencial de las decisiones sobre el abordaje de un paciente.

tumor de Células de Sertolileydig: a propósito de un caso

Resumen

Se presenta una adolescente de 17 años, sin antecedentes clínicos ni quirúrgicos. Debutó con un tumor de células de Sértoli-Leydig de ovario, de resolución quirúrgica en estadio clínico I. Realizamos una revisión bibliográfica por la baja frecuencia de estos tumores en edades tempranas.

Introducción

Los tumores de células de Sértoli-Leydig son neoplasias de los cordones sexuales-estroma ovárico. Representan entre el 0,2% al 0,5% de todos los tumores del ovario. Generalmente son unilaterales, siendo menos del 5% bilaterales y su tasa de malignidad es menor al 20%. (1)

Aunque estos tumores secretan andrógenos, produciendo signos de virilización, no todos son funcionalmente activos, siendo difícil su diagnóstico. Clínicamente se presentan con amenorrea, hirsutismo (aumento del vello facial o corporal), engrosamiento de la voz y disminución de masa grasa corporal. En estadios avanzados pueden presentar atrofia mamaria o hipertrofia del clítoris. Manifestaciones que desaparecen lentamente. (2)

El tratamiento, en la mayoría de los casos, es de resolución quirúrgica, conservando la fertilidad en los casos necesarios. La edad, el estadio y el grado de diferenciación tumoral detectados al momento del diagnóstico y tratamiento son claves para definir la evolución. Si

bien raramente malignizan, cuando lo hacen, presentan diseminación local, pélvica o abdominal. (3)

El diagnóstico del tumor se confirma con anatomía patológica e inmunohistoquímica, dada su variedad histológica y su dificultad diagnóstica previa.

Caso clínico

Consulta una adolescente de 17 años por amenorrea de 13 meses de evolución. Menarca a los 13 años con ciclos menstruales previos a la amenorrea de 7/60. Niega dismenorrea e inicio de relaciones sexuales. No refiere antecedentes de enfermedad personales ni familiares. Sin antecedentes quirúrgicos u oncológicos. Durante el interrogatorio refiere cambio en el tono de la voz y disminución del tamaño de las mamas. Clínicamente se palpa el abdomen blando, depresible, con una masa abdominal que se delimita desde la pelvis hasta la zona supraumbilical. Indolora, ligeramente móvil.

Se observa aumento del vello facial. No se realiza tacto vaginal ya que no había iniciado relaciones sexuales.

Se solicita ecografía ginecológica y abdominal que informa: útero en AVF de forma y tamaño conservado. Mide 46x11x19 MM. Endometrio parcialmente visualizado. Se identifica importante lesión de tipo mixta abdominopelviana que presenta áreas sólidas y tabiques gruesos con captación positi-

va al modo Doppler color. A descartar primario de ovario en primer término. Fondo de saco de Douglas: líquido libre de aspecto homogéneo.

A continuación, se solicita RMN abdomino-pelviana, laboratorio hormonal y marcadores tumorales.

En el laboratorio se destacan los valores de Testosterona 118,6 (normal 15-70 ng/dl) y Prolactina 31,1 (normal menor 25 ng/ml). Los marcadores tumorales en rango normal: CEA 1,2; CA 19-9 9,9; CA 125 20,5.

La resonancia magnética nuclear informa: destaca la presencia de extensa formación masa-ocupante abdominopelviana, que contacta a nivel superior con el hígado y a nivel inferior ocupa gran parte de la pelvis en íntimo contacto con la vejiga y el útero, que alcanza aproximadamente los 305 mm de diámetro céfalo-caudal x 185 mm de diámetro transverso, hiperintensa en secuencia Stir e hipointensa en T1, multiseptada y loculada, de contornos netos, que no altera los tejidos adyacentes. Tras la administración del contraste EV, solo refuerzan los septos internos. Si bien podría corresponder a un componente de estirpe quística compleja anexial, su tamaño hace perder su lugar de origen. Útero en AVF de forma y tamaño conservado. Resto de estructuras abdominales, sin particularidades.

Se decide realizar laparotomía explora-

dora. Previo a realizar el abordaje quirúrgico se habla con la paciente y su familia planteando todos los escenarios posibles durante la cirugía. Tomando la decisión conjunta de ser lo más conservadores posibles, dada su edad y el posible deseo a futuro de ser madre.

Durante la cirugía, se realiza incisión mediana infraumbilical. En la apertura de cavidad se visualiza escaso líquido libre sero-hemático, se toma muestra para estudio. Se observa una masa sólida ocupando el espacio anexial derecho y desplazándose hacia la zona anterior del útero. El tumor era blanco nacarado, duro de aproximadamente 8 cm (fotos 1, 2 y3). Se realiza la excéresis sin mayores dificultades con buena hemostasia. Se visualiza útero con paredes lisas y sin compromiso aparente, anexo izquierdo de apariencia normal (se decide realizar 3 muestras de biopsia).

Se revisa el resto de la cavidad abdominal sin observar lesiones sospechosas. Todo el material se envía para su análisis en diferido a anatomía patológica. Se realiza lavado de cavidad, y cierre de pared según técnica. La paciente tiene buena recuperación postoperatoria y al 3° día se indica alta hospitalaria.

El resultado de la anatomía patológica diferido, informa:

1. Ooforectomía derecha con tumor de Sertoli-Leydig retiforme con elementos heterólogos de 22*15*15 cms. Cápsula ovárica indemne.

2. Biopsias de ovario izquierdo: histoarquitectura conservada.

3. Líquido abdominal: material serohemático con células inflamatorias y planchas de células mesoteliales típicas con cambios reactivos.

Inmunohistoquímica: Positivo con CK, Vimentina, Inhibina (focal), Melan A (en células de Leydig). El EMA fue negativo en la mayor parte de la lesión y positivo focal en áreas de diferenciación heterólogas.

5. Área Heteróloga a manera de glándulas entéricas

Foto 1. Pieza quirúrgica
Foto 3. Pieza quirúrgica macroscópica. Tumor mixto blanco nacarado
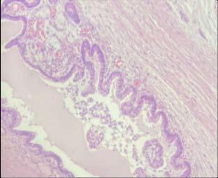
Foto 4. Patrón tipo retiforme
Foto
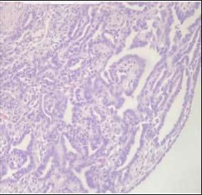
Foto 6. Proliferación fusocelular
Foto 2. Pieza quirúrgica

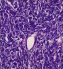
FOTO 7. Área mixoide con células de Sertoli células de Leydig

Se realiza seguimiento ambulatorio favorable. Con buena evolución postquirúrgica. En el examen físico los cambios se dieron a partir de los 45 días de la cirugía, con aclaramiento de la voz, disminución del vello facial y aumento del tamaño mamario. Reinicia su menstruación a los 60 días de la intervención quirúrgica.

Discusión

Los tumores de Sertoli-Leydig se producen con mayor frecuencia en la tercera y cuarta década de vida. Estos tumores son, casi siempre, malignos de bajo grado, aunque existe una variedad escasamente diferenciada que puede comportarse de manera más agresiva. (4)

Esta neoplasia produce andrógenos generando una virilización clínica en el 70% a 80% de las mujeres afectadas. Los signos de virilización incluyen oligomenorrea seguida de amenorrea, atrofia mamaria, acné, hirsutismo, clitorimegalia, enronquecimiento de la voz y entradas en la línea de nacimiento del pelo. La medición de andrógenos plasmáticos podría revelar cifras de testosterona y androstenediona elevadas.

En el caso presentado se pudo ver cómo las alteraciones en el ciclo menstrual y algunos signos de virilización (disminución del tamaño mamario, hirsu-

tismo y enronquecimiento de la voz) fueron una manifestación clínica. Aunque a diferencia de la teoría expuesta, se presentó a una edad más temprana. Los marcadores hormonales nos permitieron orientar un posible diagnóstico prequirúrgico.

Generalmente, son lesiones de bajo grado que se manifiestan de manera unilateral en el 98% de los casos. Quedando confinadas al ovario en la mayoría de los casos. (5)

El tratamiento habitual es quirúrgico y consiste en la anexectomía unilateral con evaluación del anexo contralateral y útero. Manteniendo un tratamiento conservador en aquellas mujeres en edad reproductiva. En pacientes menopáusicas o con paridad cumplida se puede realizar histerectomía y anexectomía contralateral.

Preservar la fertilidad fue un determinante en el tratamiento propuesto a nuestra paciente desde el inicio.

En los tumores derivados del estroma gonadal, así como en otros tumores ováricos, se ha utilizado la inmunohistoquímica para una mejor aproximación diagnóstica (6,7). En el caso de los tumores de células de Sertoli y Leydig, su utilización tiene especial importancia ante la sospecha de un patrón retiforme. La inclusión de inhibina es esencial.

El principal indicador pronóstico en este tipo de tumores es el estadio de la enfermedad al momento del diagnóstico. La tasa de supervivencia a 5 años es del 70-90% y las recurrencias son raras. Las lesiones escasamente diferenciadas tienen peor pronóstico a corto y mediano plazo, son responsables de la mayoría de las muertes en estas mujeres.

Estos tumores no son los más frecuentes dentro de las patologías neoplásicas de ovario. Deben sospecharse cuando se presenta una clínica de viralización

con hormonas masculinas aumentadas y masas anexiales grandes en los estudios de imágenes. Afortunadamente, al momento del diagnóstico la mayoría de las mujeres se encuentran en Estadio I. Lo que permite realizar un tratamiento conservador y de mejor pronóstico para todas las pacientes•/////////////////////////

1 Médico Especialista en Cirugía General. Cirujano de Planta Permanente, Hospital General de Agudos Julio de Vedia, 9 de Julio, Buenos Aires.

2 Médica especialista en anatomía patológica. Clínica Independencia, 9 de Julio, Buenos Aires.

3 Médica patóloga, división ginecopatología. Hospital de Clínicas José de San Martín, CABA, Buenos Aires.

4 Médica especialista en ginecología y obstetricia. CAPS Municipalidad de 9 de Julio, Buenos Aires.

5 Médica especialista en ginecología y obstetricia. Hospital Dra. Cecilia Grierson, CABA, Buenos Aires.

Referencias Bibliográficas

1. Wardle J, Pope R. The Psychological of screening for cancer. J Psychosom Res 1992;36:609-624

2. Pilch YH. Surgical Oncology. New York: McGraw-Hill, Book company. 1984;625-35.

3. Rosai J. Ackerman’s Surgical Pathology. Vol I. St. Louis, Toronto, London: The CV Mosby Company. 1981;18:1051.

4. Berek J, Hacker N. Oncología Ginecológica de Berek & Hacker. 5° edición, 2010: 527-528.

5. Flores OR. Tumor de células de SertoliLeydig (arrenoblastoma) maligno. Rev Méd Hondureisia. 1991; 59:29-33.

6. Costa MJ, Ames PF, Walls J, Roth LM. Inhibin immunohistochemistry applied to ovarian neoplasms: a novel, effective, diagnostic tool. Hum Pathol. 1997;28(11):1247-54

7. Riopel MA, Perlman EJ, Seidman JD, Kurman RJ, Sherman ME. Inhibin and epithelial membrane antigen immunohistochemistry assist in the diagnosis of sex cord-stromal tumors and provide clues to the histogenesis of hypercalcemic small cell carcinomas. Int J Gynecol Pathol. 1998; 17(1):46-53.

relevamiento sobre la experiencia argentina con anticonceptivos

Matriar es una organización de mujeres que lucha por los derechos sexuales y no reproductivos, orientada a desarrollar acciones que contribuyan a las personas con capacidad de gestar y recuperar la autonomía sobre su cuerpo, teniendo como eje proveer información completa y objetiva.A continuación, se presentan los resultados del relevamiento realizado en el año 2021 sobre la experiencia con anticonceptivos.

Instrumento Empleado

El instrumento empleado para la recolección de los datos consistió en una encuesta auto-administrada difundida por las redes sociales de Matriar (@matriarorg en Facebook, Twitter e Instagram) y articulada en un Formulario de Google que se cerró en mayo de 2021. Se incluyeron en ella preguntas puntuales y se dio también la posibilidad de respuestas libres, de modo que el análisis posterior pueda abordarse desde una perspectiva cuantitativa pero también cualitativa. A las participantes, se les aclaró que sus datos serían empleados sólo con fines investigativos dentro del relevamiento de Matriar y que los mismos permanecerían anónimos (los nombres que figuran en algunas citas son, por lo tanto, pseudónimos).

Luego, se realizó una serie de preguntas equivalentes para cada uno de los siguientes métodos anticonceptivos: Píldoras anticonceptivas, Implante o “Chip”, Dispositivo intrauterino de cobre, Dispositivo intrauterino hormonal, Parche, Anillo vaginal e Inyección.

Las dimensiones indagadas en este sentido fueron: Si se (des)conoce el método y si se lo utilizó; Edad a la que se comenzó a utilizar el método; Motivo del inicio de uso; Tiempo de uso; Efectos adversos vi-

vidos; (Si procede) Motivo para discontinuarlo; (Para los métodos pertinentes); la facilidad con que el personal médico accedió a retirarlo; características positivas del método y Grado de satisfacción (escala 1 a 10, siendo 0-3 Mala, 4-6 Regular, 7-8 Bueno y 9-10 Muy bueno).

Finalmente, se dejó un espacio libre opcional para que las encuestadas pudieran traer a colación experiencias vinculadas a los temas planteados.

Datos relevados

Población encuestada

La mayor parte de la población encuestada vive en suelo argentino (95,5%) siendo más predominante la que habita la provincia de Buenos Aires (42,3%) y Capital Federal (20,3%).

El rango etario de la población alcanzada se distribuye homogéneamente entre los 22 y los 35 años.

El rango etario de la población alcanzada se distribuye homogéneamente entre los 22 y los 35 años.

Por consiguiente, se trata de una población mayoritariamente urbana, con niveles de estudios avanzados, de edad joven, y con los medios socioeconómicos necesarios para tener acceso a internet, a un dispositivo electrónico y/o a las redes sociales mediante los cuales responder a la encuesta.

Consumo de Anticonceptivos

Respecto de la experiencia con diversos anticonceptivos dentro de la población encuestada, el más usado correspondió a la pastilla, consumida por un 95,9% en algún momento de su vida. A esta, le siguieron el DIU de cobre con un 10,2% y el hormonal con un 7,9%. Parches, inyectables, anillo y chip no superaron el 4% respectivamente.

Pastilla Anticonceptiva

Las píldoras anticonceptivas fue el método más utilizado por las encuestadas (95,9% (2783) usó o usa el método).

Dentro de los resultados más impactantes, se destaca el enorme nivel de desinformación que manifestaron las usuarias cuando se les preguntó si sabían

qué clase de píldora consumían: más de la mitad (50,6%) no lo sabían.

Otro dato importante para destacar es la gran cantidad de personas que recurrieron al tratamiento anticonceptivo por otro motivo que el de evitar un embarazo:

Dentro de los efectos secundarios enumerados por las usuarias, ocupan el primer lugar dos síntomas del orden emo-

cional: 45% experimentó baja líbido y 39,8% cambios bruscos de humor. A estos le siguen otros síntomas como:

Esta enorme cantidad de sintomatología se condice con el principal motivo para discontinuar el tratamiento: 36,5% investigó y las dejó y 32,5% abandonó por los efectos secundarios.

Finalmente, cuando se preguntó por el nivel de satisfacción, más de un 60% calificó la experiencia entre mala y re-

gular: 29% mala, 33% regular, 24,9% bueno, 12,8% muy bueno.

Implante subdérmico

Del total de mujeres encuestadas solo 58 habían optado por el implante como método anticonceptivo. Dentro de los efectos adversos que padecieron podemos ver que en su mayoría coinciden en:

Como problemática propia de este método anticonceptivo, resulta fundamental destacar que, dentro de la muestra, un 22% tuvo problemas o vivió com-

plicaciones con el personal médico para que se le retirara el implante; e incluso un 3% tuvo que pagar para que se lo retiren.

Respecto de la experiencia con diversos anticonceptivos dentro de la población encuestada, el más usado correspondió a la pastilla...

Otro dato importante para destacar es la gran cantidad de personas que recurrieron al tratamiento anticonceptivo por otro motivo que el de evitar un embarazo..

DIU de cobre

El diu de cobre fue el segundo método más utilizado por las personas abarcadas en este relevamiento (305). Los efectos secundarios reportados fueron más bien del orden físico que del orden emocional, destacándose el sangrado abundante (48,5%) y los dolores menstruales intensos en casi la mitad de los casos (47,2%).

Los efectos secundarios (20,7%) fueron el principal motivo para discontinuar el

tratamiento con lo cual adquieren gran relevancia en la experiencia anticonceptiva. Esto también se traduce en los resultados arrojados en el nivel de satisfacción con el anticonceptivo, donde más de un 40% resume su experiencia como mala-regular.

DIU hormonal

Dentro de la población relevada, este dispositivo fue el menos empleado (40 personas). Como efectos secundarios destacados, se encontraron:

Un cuarto de las usuarias abandonó el tratamiento por dichos efectos (25%).

A pesar de esto, el grado de satisfacción es bastante elevado: el 60% lo considera entre bueno (20%) y muy bueno (40%).

Parche Transdérmico

De la población relevada, las que utilizaron el parche (111) reportaron como efectos secundarios más importantes la hinchazón de mamas (29,7%) y las migrañas (29,7%) seguidos por la baja líbido (27,9%).

Un tercio de quienes abandonaron este tratamiento lo hizo por sus efectos secundarios (33%). Esto se condice con el grado de satisfacción manifestado dado que más del 60% lo califica entre regular y malo.

Anillo Vaginal

De las 102 usuarias de este método anticonceptivo, 39% reportó baja líbido como principal efecto secundario, seguido por la sequedad vaginal (21%) y los cambios bruscos de humor (19%). Un 35% lo abandonó por dichos efectos y el 38,2% lo califica entre malo y regular.

Inyecciones

De la población relevada, 104 usaron este método. Como efectos secundarios primaron los siguientes: migrañas (25%), alteraciones en el peso (24%), cambios de humor (23,1%), disminución de libido (21,2%) y retención de líquido (21,2%).

El 40% de las que probaron este método lo discontinuaron por sus efectos secundarios y más del 60% consideran su experiencia con el anticonceptivo entre mala y regular.

Conclusiones

De la experiencia de las 3105 personas relevadas en esta encuesta realizada por el equipo de Matriar, podría decirse que aparecen dos factores importantes para analizar y destacar: 1) lo que sucede en el propio cuerpo del usuario de los anticonceptivos y 2) la dinámica médico- paciente.

En todos los anticonceptivos, a excepción del diu de cobre, las consecuencias a nivel emocional ocuparon un lugar preponderante en los efectos secundarios: la presencia de cambios bruscos de humor osciló entre un 19% en las usuarias del anillo hasta un 43% en quienes usaron el implante. También ocupó un lugar importante la presencia de baja libido por el consumo de estos productos con porcentajes tan elevados como el 45% en quienes consumieron la píldora y 39% de las que usaron el anillo.

Otro dato que refuerza lo descrito anteriormente, es que el peso de los efectos secundarios fueron en todos los casos el motivo principal para dejar de utilizar los métodos anticonceptivos en quienes discontinuaron su uso.

La segunda dimensión en la que queremos hacer hincapié, y de la que se habla todavía menos, es la incidencia del personal y la institución médica en la trayectoria anticonceptiva de una persona. Hemos visto que muchas personas comienzan a investigar e infor-

marse por su cuenta sobre el método que ya está empleando hace tiempo, en general motivadas por efectos adversos padecidos, para decidir si continuar usándolo o no (en el caso de la píldora, 36,5% investigó y decidió dejarlas). Ello habla de una gran falta informativa y de acompañamiento en la consulta médica puesto que, si bien la inmensa mayoría comienza a emplear un método aconsejada por su profesional, raramente este ofrece

Advertencias sobre los efectos secun- ƒ darios que pueden vivirse.

Realiza estudios pertinentes para ase- ƒ gurar que el tratamiento sea adecuado para lx paciente

Acompañamiento a la persona cuan- ƒ do quiere finalizar el uso de un anticonceptivo o cambiarlo.

Con los datos de esta Primera encuesta queremos invitar a los profesionales de la salud a repensar cómo es la relación médico-paciente en la actualidad, dentro del consultorio ginecoObstétrico. Como se ofrecen los métodos anticonceptivos y la información que acompaña al mismo.

Desde Matriar, queremos que las personas con capacidad de gestar cuenten con todas las herramientas para tomar decisiones informadas sobre su salud sexual y (no) reproductiva•///////////////

Dra. Mercedes Ghiglione, Tocoginecóloga matriarorg@gmail.com

Del total de mujeres encuestadas solo 58 habían optado por el implante como método anticonceptivo.

lucas Capuano: “procesamos más 125 millones de vacunas de Covid”

En lo que a logística en salud refiere, Andreani asegura los más altos estándares de calidad para que los productos/insumos del sector lleguen de manera rápida y segura a los pacientes. Con capacidad para gestionar más de 400 millones de medicamentos por año en todos sus rangos de temperatura, la compañía se encuentra un paso adelante en cuanto a tendencias de conservación y manipuleo de insumos farmacéuticos. Según Lucas Capuano, Director Comercial Segmento Salud & Cosmética en Grupo Logístico Andreani,“la empresa cuenta con cinco plantas para productos farmacéuticos en la Argentina”.

Estamos actualizando nuestros sistemas de gestión de stock e evolucionando en integraciones vía API con nuestros clientes...

¿Qué inversiones ha realizado la empresa para afrontar los desafíos que la salud exige en la actualidad?

L.C.: Estamos actualizando nuestros sistemas de gestión de stock y evolucionando en integraciones vía API con nuestros clientes (integración continua); realizamos inventario con drones y apps para gestión de auditores; en cuanto a integración vertical, por ejemplo, hemos lanzado nuestro propio Laboratorio de Metrología para mapeos térmicos y calibraciones; formando parte de la Red de Laboratorios INTISAC como laboratorio supervisado n° 77, bajo la norma ISO 17025, para calibraciones y mapeos de temperatura y humedad.Respecto de nuevas líneas de negocio, realizamos el servicio integral para medicamentos de alta complejidad “CyPE” (canales y productos especiales), muestras biológicas (local e internacional, trazabilidad end2end), ensayos clínicos…

¿Cuántas plantas tiene la compañía para productos farmacéuticos?

L.C.: Cinco plantas para productos farmacéuticos en la Argentina con capacidad de gestionar más de 400 millones de medicamentos por año de diferentes temperaturas y complejidades, a múltiples canales y tenemos presencia regional en la Argentina y en Brasil.

Están certificados…

L.C.: Nuestros procesos se optimizan permanentemente, a través de la mejora continua, manteniendo la Certificación de Normas ISO, cumplimiento de las regulaciones para el segmento Salud e incorporando herramientas como la filosofía LEAN; en este sentido, el alcance de nuestras certificaciones contempla:

ISO 9001:2015: servicio de retiro, ƒ recepción, almacenaje, preparación, transporte y distribución de productos para la salud que requieren cadena de frío entre 2°C y 8°C.

ISO 14001:2015: Sistema de Gestión ƒ Ambiental (SGA) en Plantas de mayor

impacto ambiental (Avellaneda, Benavídez -Naves 1 y CyPE-, Florida y Malvinas Argentinas), según el criterio de consumo de energía, cantidad de colaboradores, generación de residuos y flota de transporte, entre otros.

Asimismo, nuestras Plantas de operaciones especializadas se encuentran habilitadas por ANMAT, SENASA y autoridades provinciales, asegurando las buenas prácticas de almacenamiento y distribución de medicamentos guiados por la disposición ANMAT 2069/18.

A nivel sostenible, ¿qué acciones están implementando?

L. C.: Contamos con conservadoras con tecnología europea destinadas a proveer cadena de frío sustentable, destinadas a reducir insumos desechables y por ende, otorgar mayor calidad a los medicamentos; es decir que, y en todo lo relacionado con gestión logística farmacéutica, hemos sustituido las cajas térmicas tradicionales donde distribuimos los productos farmacéuticos de 2 a 8 grados y hemos incorporado conservadoras sustentables y reutilizables que no solamente mejoran las estabilidad térmica en cuanto al tratamiento del producto sino que además, reducen los insumos desechables, como comenté anteriormente.

Y los proveedores, ¿cómo responden ante estas exigencias?

L. C.: Tenemos un programa de calificación de proveedores sustentables, a fin de que nuestros proveedores sigan las mismas políticas de trabajo en términos de sustentabilidad…

También han personalizado los servicios para el paciente…

L.C.: Sí, efectivamente. Este proceso responde a una medicina personalizada que consiste en la reconstitución de producto por profesionales farmacéuticos en almacenes Andreani / para su Entrega al paciente en tiempos mínimos.

Nuestros procesos se optimizan permanentemente, a través de la mejora continua.

La industria farmacéutica es regulada, los productos se tratan con estrictos protocolos de calidad y seguridad.

¿Cómo es el manipuleo de insumos médicos y alimenticios?

L.C.: La industria farmacéutica es regulada, a partir de esto, los productos deben tratarse con estrictos protocolos de calidad y seguridad; por ejemplo,los productos farmacéuticos deben ser almacenados en naves habilitadas o Autoridad Sanitaria en este caso, el ANMAT y, deben seguir distintos protocolos de trabajo y operaciones que tienen que estar administradas en una temperatura controlada.

¿Qué experiencia les dejó la distribución de vacunas?

L.C.: Fue un orgullo tener la experiencia de participar en el proceso y de haber contribuido con la comunidad y la sociedad en un tema tan relevante con tanto impacto social, pero a nivel servicio nos dejó un montón de aprendizajes: la agilidad en los procesos, adaptación de los recursos disponibles en tiempos muy cortos, a disponer de cámaras de frío con distintos grados de temperatura, poder depositar los distintos tipos de vacunas que llegaban al país en simultáneo…En lo que respecta a la Industria de la Salud, la logística

debe asegurar los más altos estándares de calidad para que el medicamento/ insumo, llegue de manera rápida y segura a los pacientes.

¿ Por qué?

L.C.: Pudimos combinar aquellas vacunas que requerían entre 2 a 8 grados, y, en el caso de Pfizer por ejemplo, esa vacuna requiere menos 90° grados, o sea niveles de frío extremo. Por otro lado, contamos con distintos proveedores para poder tener los elementos refrigerantes para esos niveles de temperatura; contar con ultrafreezers para ese tipo de vacunas, capacitar a nuestra gente para que cuente con los elementos de seguridad suficientes para esos niveles de frío, y también tuvimos que adaptar los procedimientos para hacerlo,la agilidad del personal del sector farmacéutico para todo lo que esté relacionado con la recepción de las vacunas, la rápida gestión de los operativos que teníamos que ir haciendo para que lleguen a las provincias del interior, en estos procesos la tecnología tuvo un rol central cuando le teníamos que ir dando al Ministerio del Interior en tiempo real toda la información•///

Agenda Mundial 2030 para el Desarrollo Sostenible

tablero operativo de mermas y Sostenibilidad de alimentos

Desde una iniciativa público-privada y con el objetivo de reducir el desperdicio de alimentos y sus consecuentes impactos económicos, sociales y ambientales, GS1 desarrolló una herramienta dinámica basada en inteligencia de negocios: Tablero Operativo de Mermas y Sostenibilidad de Alimentos; que, a partir del procesamiento de datos de cadenas de supermercados, posibilita la elaboración y publicación de indicadores y la representación gráfica las principales métricas -KPIs- para la prevención y/ o reducción en pérdidas y desperdicios de alimentos y bebidas.

El Ministerio de Agricultura, Ganadería y Pesca de la Nación presentó el Tablero Operativo de Mermas y Sostenibilidad de Alimentos...

El Ministerio de Agricultura, Ganadería y Pesca de la Nación presentó el Tablero Operativo de Mermas y Sostenibilidad de Alimentos, una herramienta que se construyó de manera colaborativa y que busca avanzar en el abordaje de los desperdicios de alimentos desde la mirada del sector de comercio minorista, puntualmente, el subsector de supermercados, como también con la industria que elabora alimentos y bebidas, a través de un espacio de diálogo e intercambio.

La actividad fue llevada adelante por la Secretaría de Alimentos, Bioeconomía y Desarrollo Regional -SAByDR-, a cargo del Plan Nacional de Reducción de Pérdidas y Desperdicio de Alimentos -PNRP DA-, en el marco del apoyo a las herramientas surgidas de la cooperación porque generan información de calidad que es indispensable para el diseño e implementación de políticas -públicas y/o privadas- que se constituyan en soluciones institucionales, organizacionales, tecnológicas, financieras, etc., para la efectiva prevención y reducción de pérdidas y desperdicios de alimentos.

En su presentación, el director de Agregado de Valor y Gestión de Calidad, Pablo Morón, destacó que “todo lo que sea recolectar información que nos permita tomar decisiones acertadas y que propendan a reducir las pérdidas de alimentos creo que es algo que tenemos que acompañar, y es algo en lo que nos sentimos acompañados”.

El desarrollo del Tablero de Mermas surge en el ámbito del Grupo de Trabajo de Industrias y Retail del Plan Nacional. Es coordinado por GS1 Argentina y constituido por importantes cadenas de supermercados y compañías de la industria y la producción del país, organizaciones como la COPAL, la Red Argentina de Bancos de Alimentos; así como instituciones internacionales como la Organización de las Naciones Unidas para la Alimentación y la Agricultura (FAO), el Banco Interame-

ricano de Desarrollo (BID) y el Consumer Goods Forum.

En particular, para el diseño y puesta en marcha del Tablero, se estableció una alianza con el Ministerio de Ambiente y Desarrollo Sostenible de la Nación y con el Programa de Naciones Unidas para el Medio Ambiente, quienes apoyaron a través de una asistencia financiera en el marco del Proyecto “Fortaleciendo la capacidad técnica e institucional para Consumo y Producción Sostenible en Argentina” y la Estrategia Nacional de CPS.

Por su parte, la FAO ha acompañado este proceso a través de la tercera edición del informe sobre desperdicio de alimentos en Supermercados y Autoservicios de Argentina, esta vez con la información operativa 2021 es decir los resultados del propio Tablero y bajo el título: “Herramientas para la gestión más eficiente en la cadena de valor”.

El valor de este Tablero radica en que estima el desperdicio a partir de la información vertida por las empresas participantes, pudiendo expresarse estos valores en toneladas, en porcentual de desperdicio, así como el valor en la moneda local. Cabe destacar que las cadenas de supermercados participantes representan el 61% del total del segmento denominado Self cadenas -uno de los cuatro canales de consumo masivo del país-, el cual constituye aproximadamente, el 40% del total de consumos de alimentos en el país,que podría estimarse en un alcance de 24,4 % a nivel nacional.La herramienta propuesta para el sector busca continuidad y sostenibilidad en el tiempo a partir de publicaciones cuatrimestrales dependiendo de la entrega de datos de las cadenas.

De esta manera, tanto las empresas de supermercados y comercialización como las empresas elaboradoras de alimentos y bebidas, pueden acceder a esta información en forma detallada y estratificada, de manera de po-

der identificar, cuándo, cómo, dónde y por qué se producen las mermas de sus productos.

Esta primera versión del producto se encuentra online, tiene un formato muy sencillo y amigable. Desde un glosario con definiciones y conceptos, las diversas clasificaciones de los resultados, hasta el marco institucional de alianza público-privada que ha hecho este Tablero una realidad.

Se espera que esta herramienta facilite la realización de la segunda estimación de PDA en Argentina, proyecto que ya se encuentra en marcha con apoyo del BID, y que también contribuya con el informe voluntario del Índice de Desperdicio de Alimentos (IDA) para la meta 12.3 de los ODS. A la vez podría motivar la implementación de iniciativas similares en la región de América Latina y el Caribe.

Para el diseño y construcción de los indicadores del Tablero, se convocó a la Escuela de Estadísticas de la Facultad de Ciencias Económicas y Estadísticas de la Universidad Nacional de Rosario. La construcción del Tablero comprometió a las empresas a participar a través del aporte de registros de mermas de sus sistemas de gestión en formato de datos masivos para poder aplicar inteligencia de negocios y desarrollar indicadores.

Datos proporcionados por las cadenas El aporte de datos por parte de las cadenas es de periodicidad mensual y en formato Big Data; y tras un proceso de homologación, la información es actualizada cuatrimestralmente en el Tablero Operativo de Mermas y Sostenibilidad de Alimentos. Las cadenas de supermercados proporcionan la siguiente información:

1/ Maestro de Artículos, (códigos y descripciones de todos los productos participantes en el estudio)

2/ Maestro de Locales, (locales, sucursales, centros de costos…)

CANALES DE CONSUMO Y PORCENTAJE DE PARTICIPACIÓN DE CADA UNO

3/ Registro de Mermas, (cantidad mermada y sus causas por artículo)

Esta información permite conocer la merma real en las cadenas participantes en unidades de peso (toneladas).

Diseño de los Indicadores

Los indicadores en el Tablero, cuentan con opción de desagregación según la región geográfica, las provincias, el formato de la tienda, las categorías y subcategorías y los motivos y submotivos de merma.

...busca avanzar en el abordaje de los desperdicios de alimentos desde la mirada del sector de comercio minorista...

2.2.1

APERTURA POR CATEGORÍA Y SUBCATEGORÍA DE ARTÍCULOS

Es coordinado por GS1 Argentina y constituido por importantes cadenas de supermercados y compañías de la industria y la producción del país...

... para el diseño y puesta en marcha del Tablero, se estableció una alianza con el Ministerio de Ambiente y Desarrollo Sostenible de la Nación y con el Programa de Naciones Unidas para el Medio Ambiente...

2.2.3 APERTURA POR FORMATO DE TIENDA

2.2.4 APERTURA POR MOTIVOS Y SUBMOTIVOS

RESULTADOS DEL TABLERO OPERATIVO

Los resultados informan una merma estimada en toneladas de 65440 toneladas, valorizada en $15.870 millones de pesos argentinos.

RESULTADOS

GENERALES

...la FAO ha acompañado este proceso a través de la tercera edición del informe sobre desperdicio de alimentos en Supermercados y Autoservicios de Argentina...

3.2.1 MERMA (TN) ESTIMADA POR DISTRIBUCIÓN GEOGRÁFICA

Regiones del país y cantidad mermada en toneladas

3.2.2 MERMA (TN) ESTIMADA POR CATEGORÍA Y SUBCATEGORÍA

Merma en Toneladas por categoría y Subcategoría de productos

El valor de este Tablero radica en que estima el desperdicio a partir de la información vertida por las empresas participantes...

3.2.3. MERMA (TN) ESTIMADA POR MOTIVO Y SUBMOTIVO DE MERMA

Las mermas se clasifican de acuerdo a su causa. El presente estudio indica que el 75,4% corresponde a motivos conocidos y el 24,6% a desconocidos.

Porcentaje de Merma por Motivo/Submotivo según región geográfica

Porcentaje de Merma por Motivo/Submotivo según categoría y subcategoría de producto

Cabe destacar que las cadenas de supermercados participantes representan el 61% del total del segmento denominado Self cadenas...

3.2.4 MERMA (TN) ESTIMADA POR FORMATO DE TIENDA

Merma en Toneladas de acuerdo al Formato de Tienda

Merma en miles de Toneladas según formato de Tienda y Categoría y Subcategoría de productos

3.3.1 MERMA ($) ESTIMADA POR DISTRIBUCIÓN GEOGRÁFICA

Las regiones geográficas identificadas con la mayor proporción de impacto económico en la merma detectada son: Buenos Aires, CABA, Sur y Austral, en ese orden.

Merma ($) Estimada por Distribución Geográfica

... las empresas de supermercados y comercialización como las empresas elaboradoras de alimentos y bebidas, pueden acceder a esta información en forma detallada y estratificada...

Merma ($)Estimada por Categoría y Subcategoría de productos

3.3.3 MERMA ($)ESTIMADA POR FORMATO DE TIENDA

El formato de tienda que registra una mayor magnitud monetaria de su merma estimada corresponde al de 500 a 2000 m2.

Merma ($) Estimada por Formato de Tienda

Conclusiones

Se identificaron 64.400 toneladas de merma, valorizada en $15.870 millones de pesos argentinos, para el total del mercado analizado. Se observó un alto porcentaje de motivos conocidos para la misma, en 75,4%. Las categorías identificadas con mayor magnitud de mermas

son Frutas y Verduras, Frescos y Almacén, en ese orden•/////////////////////////// Fuente

Informe de los datos para la elaboración del Tablero Operativo de Mermas y Sostenibilidad de Alimento proporcionado por GS1. El informe es un resumen del proyecto.

Esta primera versión del producto se encuentra online, tiene un formato muy sencillo y amigable.

tendencias 2022

La pandemia produjo cambios en la mente de los consumidores a nivel global. Los hábitos de compra, hoy,no implican necesariamente lealtad de marca. Ante este contexto las empresas de todos los rubros deben adaptar sus modelos de negocios y sus redes logísticas tradicionales para afrontar este nuevo desafío: consumidor 2022.

El comportamiento de los consumidores ha cambiado en estos últimos dos años. La pandemia por Covid, ha marcado profundas diferencias en lo que a hábitos en el consumo se refiere respecto de años anteriores.

Ante este panorama, las empresas deben evolucionar y adaptarse a estos cambios de manera constante, siendo ésta la única manera de permanecer al lado del consumidor.

Así, las empresas deben verse como “aliadas” ante los ojos del potencial cliente y deben encontrarse con él, según sus términos; y, según un estudio realizado por Euromonitor “las relaciones con los clientes ya no pueden ser transaccionales”; sino, por el contrario las empresas deben desarrollar conexiones profundas y de apoyo para con sus clientes.

Las marcas “humanizadas”, serán las preferidas en esta instancia, porque si por el contrario, la experiencia no es fluida y personalizada, las empresas “podrían perder clientes”.

Modelos híbridos

La presencialidad y la virtualidad en las transacciones cobró significativa importancia en este último tiempo no solo para las empresas de consumo sino también para las de servicio: educación, salud, por medio de la telemedicina… etc. etc. En todo este proceso, la tecnología ha cobrado una singular relevancia, a nivel global la gente ha convertido a la tecnología en un instrumento amigo, a la hora de necesitar algún servicio o producto.

Sostenibilidad

La sostenibilidad es una ventaja competitiva renovada; la mayoría de los consumidores se inclinan por productos y comunidades ecológicos y ya este concepto se ha convertido en un bien preciado: las empresas que realicen acciones o desarrollen procesos sostenibles reflejarán un impacto positivo en la mente del consumidor.

Mayores posibilidades

Los nuevos canales de distribución y vías comerciales, tales como estrategias directas al consumidor o programas de recompra, podrían ofrecer canales de ingresos adicionales, teniendo en cuenta que los clientes se mueven, buscan y comparan. Es por ello que “las empresas deben considerar alianzas con otros actores en todos los sectores para compartir recursos, expandir el alcance y lograr objetivos más allá de sus capacidades operativas actuales”; las empresas deben moverse con ellos o arriesgarse a perderlos.

Consumidor del 2022

Estas tendencias presentan una oportunidad única para que las empresas aprovechen la ola de crecimiento del mercado y capturen participación; contar con una profunda comprensión de los nuevos hábitos y necesidades de los consumidores y, en respuesta, adaptarse rápidamente a los modelos comerciales.

Para poder tener ese conocimiento profundo de los consumidores, las empresas deberán, según el Boston Consulting Group -BCG-.“Recopilar datos sobre los factores que influyen en las elecciones de los consumidores; midiendo los cambios en las necesidades, percepciones y comportamientos de los clientes utilizando este conocimiento para identificar y diferenciar entre mercados”.

Con este conocimiento, “las empresas pueden crear herramientas de autoaprendizaje totalmente automatizadas para pronosticar la demanda en función de una amplia gama de señales y desarrollar pronósticos de demanda más precisos para mejorar su planificación de mano de obra, inventario y suministro”. Así, las empresas exitosas innovarán en respuesta a estos pronósticos y las tendencias más amplias que identifiquen•////////////////////////////////// ///////////////////////////////////////////////////

Por Liliana Iglesias

Los nuevos canales de distribución y vías comerciales, tales como estrategias directas al consumidor o programas de recompra, podrían ofrecer canales de ingresos adicionales...

Turn static files into dynamic content formats.

Create a flipbook