

![]()


Suitable for Australian Dental Practices

Fully supported and serviced by Centaur
break the bank. Our range includes the Mediaray Plus Digital X
We pride ourselves on providing quality produc
:
• 24 months warranty
Mediasuite Digital Imaging Software (3 Licences)
• Exceptional Value
• Direct USB connection
• High diagnostic image resolution
• Unique cable design
• Waterproof
• Portability – High speed direct USB connection to your computer
• Ergonomic design with rounded corners, edges and a smooth top, optimal sensor positioning and patient comfort is ensured

• The unique design of the reinforced cable attachment combined with the hardened bio compatible outer casing makes the Mediaray PLUS sensor safe, durable, reliable and comfortable for the patient









INTRAORAL CAMERA WIRELESS OPTION

• 18 months warranty
• Mediasuite Light Digital Imaging Software (3 Licences)
• Resolution of 1280 (H) × 720 (V) pixels
5 step focusing levels from intra-oral to extra-oral imaging
• Ergonomic design
• Anti-fogging
• 7 element glass optical lens producing exceptional image quality
• Bright LED light source
• Automatic on/off hand-piece holder


• 18 months warranty
• Mediasuite Light Digital Imaging Software (3 Licences)
• Full HD 1080P
• Resolution of 1920 (H) × 1080 (V) pixels
• Full automatic focus and anti-fogging
• Full metal case with ergonomic design
• Supports DIS (Digital Image Stabiliser) System
• 7 element glass optical lens producing exceptional image quality
• Bright LED light source
• Patented intelligent IR protection technology
• Automatic on/off hand-piece holder


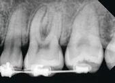
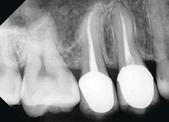
A digital x-ray scanner that delivers high-quality digital images for busy dental practices Coupled with leading digital imaging software, including the complimentary advanced Mediasuite, Mediascan delivers uncompromising image quality at an affordable price
• 12 months warranty
• Mediasuite Digital Imaging Software (3 Licences)
• Compact and affordable
• Readout time: 4 1–7 2 seconds
• Optimised workflow with push & go functionality
• Fast diagnostic images
• Supports size 0, 1, 2, 3, 4c imaging plates
• High quality images
• Colour LCD touch screen for x-ray image preview & controls
Interactive chairside review
• Magnetic feeding tray protects imaging plates
• Built-in memory of last 100 images
• Network and USB connectivity
• Built-in erase function
• Optional RFID reader for unique patient tagging


advanced technology of the Mediascan RFID Reader provides quick and
urate registr
t
of data relevant to each individual pat
RFID

tched t
the correct patient file, including the scanned image, imaging plate size and the serial number of the imaging plate
Mediascan combines an elegant design with a powerful yet easy to use system The automated, magnetised feeding tray offers push and go functionality, making it simple to operate for busy providers The scanner uses a full range of reusable bite wing and intraoral imaging plates that are easier and faster to position than intraoral digital sensors Importantly, a true size 4c imaging plate is available, so providers don’t have to use software stitching to combine images from two size 3 plates a cumbersome and inefficient process Mediascan accepts IP sizes 0, 1, 2, 3 and a true 4c

Mediasuite will capture them all and offers true integration to most clinic management systems The clean, clear and powerful image manipulation toolset assists with more accurate condition/patient diagnoses and far better patient communication Mediasuite has 16 Bit image processing and is DICOM compliant
Manage all your digital imaging devices and their images from the one simple imaging application, directly integrated into your practice management system
Professional or Light version included in all digital imaging purchases
Analyse and enhance using Mediasuite’s powerful yet user-
friendly imaging tool set.
• 16 Bit dynamic range for x-ray images
• 24 Bit dynamic range for colour images
• Study Mount templates to display patient image portfolios
User defined names and colour labels for Studies (Before & After Treatment,
Treatment Plan, Treatment etc )
Restore original image
Automatic image recovery in case of power or network failure
Multi-language capability
Audit reports on image manipulation history and actions such as image deletion or
exporting and filtered by patient, provider or whole practice
• Copy/move all images from one patient to another in Dental4Windows
• Conversion available from any other dental imaging system
• Support for an unlimited number of network users
• Integrates with any number of imaging devices in the one powerful dental imaging system
• Customisable print layout
• Supports an unlimited number of dental clinics and locations
Image Auto Processing
When installing a new device, Mediasuite allows users to define the image processing settings for each image automatically taken by that device Users can also customise image enhancement filters for each individu
a whole network.
System Functionality
Import/export/manage all standard image formats including DICOM standard Display one full screen image through to nine images







Mediasuite
Digital Imaging
Software



✓ Digital X-rays
✓ Videos
✓ Still Images
✓ OPG Images & Scans
✓ Digital X-ray Sensors
✓ Phosphor Plate Scanners
✓ Intra-Oral Cameras
✓ OPGs
✓ Camcorders
✓ Web Cams
✓ Flatbed Scanners
✓ Memory Cards

