




$4,000

HALLADAY
CATHOLIC BOY

UPTOWN RYTHEM
$1,500
$5,000


![]()





$4,000


$1,500
$5,000


In its annual October compilation of breeding statistics, Te Jockey Club detailed both the number of mares bred in 2023 and the estimated 2024 live foals from mares covered in the various states.
According to TJC, approximately 8595% of the mares bred and live foal reports are complete. In mares bred, California showed a decline of 6%. While that is still worrisome, it’s a considerable improvement from a 10.5% decline the previous year. Te trend follows with live foals, as California showed an 8.1% decline in 2024 compared to a decline of 12.7% in 2023.
California, of course, refects the industry as a whole, with six of the top 10 states/provinces listed reporting a percentage decline in live foals (per chart below).
Tis listing of live foals pertains strictly to the state of conception and does not represent the total number of foals born in a particular state. For California, when factoring in the roughly 200 California foals conceived in Kentucky and elsewhere, the current year foal crop should approach 1,300.
While this continued decline needs to be addressed with other industry stakeholders, we need to also focus on quality as well as quantity. With eight California-breds bringing six-fgure prices at the Fasig-Tipton California Fall Yearling Sale, it is evident that California breeders continue to upgrade and bring quality bloodstock to the state.
Te total Cal-bred program, at more than $35 million a year in restricted purses and incentive awards, continues to fuel that
investment by California breeders. Te CTBA will continue to work with others in the industry to not only protect purses, opportunities, and awards available, but to also grow them as much as possible.
As California-breds continue to make up roughly half of the feld sizes north and south and California racing becomes more dependent on locally bred horses, it is vital for the future of racing in the state that breeders and owners have such a strong state-bred program. It is also important to note that, even with the decline in the number of foals, California still bred more mares than any state other than Kentucky. And this is without revenue from other forms of gambling. Restricted purses and incentives continue to remain strong strictly through pari-mutuel handle.
The offcial magazine of California Thoroughbred Breeders Association, a non-proft corporation dedicated to the production of better Thoroughbred horses for better Thoroughbred racing, published by Blood-Horse, LLC.
Opinions expressed in signed articles are those of the authors and do not necessarily refect policies of the CTBA or this magazine. Publication of any material originating herein is expressly forbidden without frst obtaining written permission from California Thoroughbred. All advertising copy is submitted subject to approval. We reserve the right to reject any copy that is misleading or that does not meet with the standards set by the publication.
Acknowledgment: Statistics in this publication relating to results of races in North America are compiled by the Daily Racing Form Charts by special arrangement with Daily Racing Form Inc., the copyright owners of said charts. Reproduction forbidden.
OFFICERS
CHAIRPERSON
JUSTIN OLDFIELD
PRESIDENT
DOUG BURGE
VICE CHAIRPERSON TY GREEN
TREASURER
GEORGE SCHMITT
SECRETARY
ADRIAN GONZALEZ
DIRECTORS
John C. Harris, Gloria Haley, Pete Parrella, Sue Greene, Donald J. Valpredo, Terry C. Lovingier, George F. Schmitt, Ty Green, Justin Oldfeld, Adrian Gonzalez, Dan Harralson, Dr. Stacy Potter, Jonny Hilvers
ADMINISTRATIVE STAFF
CONTROLLER
THOMAS R. RETCHLESS SALES
LORETTA VEIGA
REGISTRAR/INCENTIVE PROGRAM MANAGER
MARY ELLEN LOCKE
ASSISTANT REGISTRAR
DAWN GERBER
EXECUTIVE ASSISTANT/EVENT COORDINATOR
CHRISTY CHAPMAN
ADVERTISING MANAGER/PRODUCTION COORDINATOR
LORETTA VEIGA
WEBSITE MANAGING EDITOR
KEN GURNICK
LIBRARIAN/RECEPTIONIST/SUBSCRIPTIONS/ MEMBERSHIP
VIVIAN MONTOYA
RACETRACK LIAISON
SCOTT HENRY
California Thoroughbred (ISSN 1092-7328) is published monthly, except for two combined issues in June/July and Aug/Sept, plus one special issue in December, in Lexington, KY by Blood-Horse LLC, 821 Corporate Dr., Lexington, KY 40503.
Periodicals postage paid at Lexington, KY and at additional mailing offces.
POSTMASTER: Send address change to the 201 Colorado Place, Arcadia, CA 91007
Subscriptions - $55.00 per year USA $85.00 per year Canada & Mexico
WEST COAST
CONTRIBUTING EDITOR
TRACY GANTZ
COPY EDITOR
MARY SCHWEITZER
ART DIRECTOR
Winner of six stakes during her championship year of 1973, Sandy Blue went on to become the second dam of Eclipse Award winner Possibly Perfect.



PRODUCTION FORREST BEGLEY
ARTIST
CATHERINE NICHOLS CREATIVE SERVICES DIRECTOR JENNIFER SINGLETON
PHILIP TRUMAN

FIGHTING HUSSAR
Rockport Harbor – Lightning Pace, by Regal Classic
Fee: $1,000 LFG

BIG RUNNUER
Stormy Atlantic – Elusive Luci, by Elusive Quality
Fee: $1,500 LFSN

OSCAR NOMINATED
Kittens Joy – Devine Actress, by Theatrical (IRE)
Fee: $1,500 LFSN

KING OF JAZZ (ARG)
Giant’s Causeway – Kiss Me Sweet (ARG), by Lode
Fee: $1,000 LFG

GATO DEL ORO
Medaglio D’oro – Funny Feeling, by Distorted Humor
Fee: $1,000 LFG

ORIGINAIRE (IRE)
Zofany (IRE) - Polly Perkins (IRE) by Pivotal (GB)
Fee: Complimentary

MO THE BEHOLDER
Uncle Mo – Leslie’s Harmony, by Curlin
Fee: $2,500 LFSN

ROUSING SERMON
Lucky Pulpit – Rousing Again, by Awesome Again
Fee: $1,500 LFSN



A Full Service Thoroughbred Facility
Centrally Located to All Southern California Racetracks OFFERING
Breeding, Boarding, Mare & Foal Care, Lay-Ups, Breaking, Training, Sales Prep, 5/8 Mile Race Track

Marcos Menjivar, Manager 3001 W. Esplanade Ave Hemet, CA 92545
C (951) 316-5420
P (951) 654-9100
F (951) 654-9119
E: bgfarminc@gmail.com

California-bred Big Fame competes over fences as part of her path to Thoroughbred Makeover champion
Big Fame, a 5-year-old California-bred daughter of Mr. Big, took home top honors in the 2024 Toroughbred Makeover Oct. 11 at the Kentucky Horse Park in Lexington, Ky. From more than 280 horses, Big Fame, trained by Angela Carmitchel, participated in eventing and show jumping, winning the ultimate prize, which came with a check for $10,000.
Te Toroughbred Makeover, produced by the Retired Racehorse Project, is a retraining competition for recently retired racehorses. On the track, Big Fame won two of 13 races, most recently competing at Santa Rosa in August 2023.
Dr. Dorothee Kieckhefer and Leucadialand Stables LLC bred Big Fame from the Western Fame mare Adopted Fame. Kieckhefer said she claimed Big Fame back at the end of her racing career, and the owner was able to attend the Makeover at the Kentucky Horse Park for the preliminary rounds.
“From the very beginning, I thought
she would just make a wonderful jumper or eventing horse,” Kieckhefer told the Retired Racehorse Project. “She just has the presence for the ring, and I think she has a lot of fun.”
Carmitchel is a professional rider based in Scottsdale, Ariz. She retrained Big Fame in Arizona, sometimes hauling her to Flagstaf so that its higher elevation could aid in the mare’s ftness.
“Her ftness is really important, obviously, in eventing and show jumping,” said Carmitchel. “Te whole training process has included taking her on mileage trips or taking her to diferent trainers—I have an amazing group of trainers in Arizona.”
Big Fame competed in the two disciplines and was named the eventing champion. Tat made her one of 10 fnalists for the fnal prize.
“She has got such a great brain, very athletic, willing, and smart,” Carmitchel said. “She’s got the work ethic of a Toroughbred.”
The California Thoroughbred Breeders Association will conduct its mixed sale Jan. 21, 2025, at the Hinds Pavilion at Fairplex Park. The catalog will consist of breeding stock, 2-year-olds, yearlings, and horses of racing age. Entries will close Nov. 12. For further information, contact Loretta Veiga at 626-445-7800 ext. 227 or email loretta@ctba.com.
California-bred multiple stakes winner Carmelita’s Man has been retired, according to a report in Daily Racing Form. Te 7-yearold gelding made his last start in the Aug. 3 California Dreamin’ Stakes at Del Mar, for a record of eight wins, seven seconds, and three thirds in 35 starts and total earnings of $626,556.
Richard Barton Enterprises and Robert Traynor bred Carmelita’s Man, a son of Mucho Macho Man—Carmelita, by North Light. Sold for $23,000 at the 2018 Barretts October sale, Carmelita’s Man raced for Larry and Ann Jet and was trained by Dean Pederson.
Te gelding raced for fve seasons and won back-to-back editions of the California Dreamin’ in 2022 and 2023. He also scored in the 2022 Crystal Water Stakes, ran second in the 2024 Unusual Heat Turf Classic Stakes presented by City National Bank, and ran third in the 2023 Crystal Water.
Plans call for Carmelita’s Man to be placed with a California Retirement Management Account (CARMA) aftercare partner next year.

Thoroughbred owner and breeder Harris Auerbach, who served on the CTBA board of directors and as vice chairperson, has launched HorsePAUER Enterprises. Te subsidiary of PAUER Consulting LLC will ofer such services as industry sales and marketing strategies, stakeholder development, communications and public relations services, commercial and private sales representation, breeding stock portfolio management, and bloodstock/matings consultations.
Auerbach’s more than 20 years of bloodstock experience includes the campaigning of California’s all-time
leading sire Unusual Heat and transitioning his family’s once regional business into a national based bloodstock operation. He was among the very frst to promote a stallion and breeding operation, with his company’s long-running, fully dedicated website (www.auerbachracing.com).
Begun in 2024, PAUER Consulting is a boutique consulting frm owned and operated by longtime non-proft and higher education executive Patrick Auerbach. PAUER’s clients include major universities, charitable organizations, and other sport-related enterprises.




further information, contact Loretta Veiga (626) 445-7800 ext. 227


Catholic Boy, who won grade 1 races on dirt and turf, will stand at John Harris’ Harris Farms for the 2025 breeding season. The multi-millionaire is by More Than Ready and is a national leading second-crop sire. He will stand for $6,000, live foal.
Catholic Boy campaigned three seasons, winning six graded stakes. As a 3-year-old in 2018, he won the Travers Stakes (G1), defeating champions Good Magic and Wonder Gadot, and Belmont Derby Invitational Stakes (G1T).
Catholic Boy earned a total of $2,134,000, with seven victories and two seconds in his 13 starts at nine different tracks. He scored in the 2017 With Anticipation Stakes (G3T) at Saratoga before fnishing a close fourth in the Breeders’ Cup Juvenile Turf (G1T) at Del Mar. Before the end of the season, he romped by nearly fve lengths in the nine-furlong Remsen Stakes (G2) over the main track at Aqueduct.
At 3, Catholic Boy captured the Pennine Ridge Stakes (G3T) at Belmont Park, and at 4, he won the Dixie Stakes (G2T) at Pimlico.
Catholic Boy was produced from Song of Bernadette, a daughter of Bernardini from the family of champions Hawk Wing, Lucky Song, and La Lorgnette. The stallion’s offspring include multiple stakes winner El Catolico and seven stakes-placed runners, all from different broodmare-sire lines.

Flavius, a multiple stakes-winning son of War Front, has been retired to stud at Daehling Farms near Elk Grove. He will stand in 2025 for an introductory fee of $2,500.
Bred by Juddmonte from the Dynaformer mare Starformer, Flavius began his racing career at 2 in 2017 in Ireland, where he won twice, including the Trigo Stakes, and fnished second once. Chad Brown trained

him for Juddmonte in this country, and Flavius won the 2021 Lure Stakes at Saratoga and 2020 Tourist Mile Stakes at Kentucky Downs. In the latter he set a course record of 1:32.21 for a mile.
Flavius sold for $230,000 at the 2021 Keeneland November sale. He then raced primarily in California through mid-2024, earning a total of $851,264. Flavius won three consecutive races at Santa Anita early in the year.
Tough Sunday will stand the 2025 breeding season at Eclipse Thoroughbred Farm in Buellton. He will stand for $2,500 and joins his sire, California leading stallion Grazen, at the farm, which is owned by Mike Scully and his wife, Angie Hager-Scully.
Bred and raced in California by Nick Alexander, Tough Sunday is out of the General Meeting mare Sunday Dress. He won the 2018 Sensational Star Stakes and placed in four other stakes, including the Midnight Lute Stakes (G3) twice. From 2014-19, Tough Sunday started 22 times, with fve wins, six seconds, and six thirds, for total earnings of $262,228.
Alexander initially stood Tough Sunday privately, breeding only his own mares to the stallion. Tough Sunday’s foals include Speedy Wilson, who became the sire’s frst stakes winner when he scored in the $176,000 Golden State Juvenile Stakes at Del Mar Nov. 1. Alexander bred and races Speedy Wilson.



CALIFORNIA CHROME showed a new dimension to his talents by winning the $300,250 Hollywood Derby (G1T) on the turf at Del Mar Nov. 29, 2014. After winning the Kentucky Derby (G1) and Preakness (G1) earlier in the year, the California-bred was coming off a third against older horses in the Breeders’ Cup Classic (G1). He won the 11⁄8-mile Hollywood Derby by two lengths in
1:47.88 as the 7-10 favorite for jockey Victor Espinoza and trainer Art Sherman. “He moves like a grass horse—I always wanted to try him on the grass,” Sherman said. Perry Martin and Steve Coburn bred the son of Lucky Pulpit—Love the Chase, by Not For Love, and he won the Hollywood Derby for them. California Chrome would be voted the year’s champion 3-year-old male and earn his frst of two Horse of the Year titles.
An iron horse who would eventually start 54 times, California-bred GREY MEMO made his stakes debut in the $100,000 Hollywood Prevue Stakes (G3) at Hollywood Park Nov. 20, 1999. The 2-year-old was coming off back-to-back victories, in a maiden race at Fairplex Park and an allowance event at Santa Anita. With jockey Matt Garcia in the irons for the Prevue, Grey Memo scored by a half-length over Magical Dragon in 1:194⁄5 for seven furlongs. Warren Stute trained the son of Memo—B. Mozelle, by Snow Chief, for Ron Manzani, Russ Sarno, and breeder Ridgeley Farm. Grey Memo would go on to be voted champion Cal-bred older male of 2002

and win fve more stakes, including the 2002 Godolphin Mile (G2) in Dubai, and earned a total of $1,736,683. So well-mannered that people thought he was a gelding, Grey Memo later stood at stud at Pat Thompson’s Ridgeley Farm.
A homebred for Dr. Merle Boyce, California-bred CONFEDERATE YANKEE defeated a strong feld of 3-year-olds in the Thanksgiving Day Handicap at Bay Meadows Nov. 28, 1974. Fellow Cal-bred Century’s Envoy led early in the 11⁄16-mile race, only to get caught by Dr. Ronald Ponn at the head of the stretch. Confederate Yankee, ridden by Alvaro Pineda for trainer Jerry Dutton, circled the feld and got up late to defeat Chief Pronto by 11⁄4 lengths in 1:402⁄5. Dr. Ronald Ponn fnished third, but was disqualifed for interference and placed fourth, moving Cal-bred Ga Hai into third. A son of Grey Eagle—Windsor Blue, by Windsor Ruler, Confederate Yankee had placed in four prior stakes. He raced through 1978, won the 1978 Portland Meadows Mile, placed in 10 more stakes, and earned a total of $252,212.



Longtime horseman Heinz Steinmann, who stood California leading sire Swiss Yodeler, died in early October. He was 92. Born in Switzerland, Steinmann came to the United States at age 16 with his family, which owned the Wrightwood ski area Holiday Hill, which later became Mountain High. He and wife, Lora, took over management of the facility in 1961 and sold it in 1983.
Following that sale, Steinmann began racing and breeding Thoroughbreds. Trainer Mike Harrington purchased Swiss Yodeler for Steinmann at the 1996 Keeneland September yearling sale for $60,000.

BY
For information, call:
Mary Ellen Locke
(800) 573-2822 or (626) 445-7800 Ext. 236
Dawn Gerber (800) 573-2822 or (626) 445-7800 Ext. 237
You can register online at: www.ctba.com
Email: registration@ctba.com
OCT 1 - DEC 31, 2024
Fee: $125 for Members
Fee: $250 for Non Members
AFTER DEC 31, 2024
Fee: $750

“He was my kind of horse—a big, stout, pretty horse,” Harrington said. “He had a great chest, a powerful gaskin, and a long hip. He was perfectly correct and perfectly balanced.”
Swiss Yodeler went on to be a grade 1 winner of $761,442 and then exceled as a sire. He led all California sires in 2006, when his runners included Breeders’ Cup Sprint (G1) winner and California-bred champion sprinter Thor’s Echo, who retired with earnings of nearly $2.5 million. Swiss Yodeler sired 15 black-type winners, including 2012 Cal-bred 2-year-old champion Tilde. The stallion’s total progeny earnings exceeded $31 million.
Swiss Yodeler stood at Pepper Oaks, Harris Farms, and Lovacres Ranch before being relocated to West Virginia.
Steinmann also enjoyed success with Creative Cause, a millionaire grade 1-winning son of Giant’s Causeway who ran ffth in the 2012 Kentucky Derby (G1) and third in the Preakness (G1). Creative Cause has gone on to a stallion career, with progeny including $2 million-earner and California sire Pavel.
Santa Anita will celebrate its 90th anniversary Dec. 26, opening day of its Classic Meet. In honor of the milestone, the public is asked to vote for the 13 “Top Moments” in track history to be featured in Santa Anita’s wall calendar. Tere are 15 nominations to choose from, which were selected by a panel of horse racing media veterans.
Voting on Santa Anita’s “Top Moments” will be open until Nov. 8 at 5 p.m. PT on the Santa Anita website (www.santaanita.com). Te 13 top vote-getters will be featured in Santa Anita’s calendar, which is provided to on-track patrons on opening day each year.
Te 15 nominations include California-bred Silky Sullivan winning the 1952 Santa Anita Derby in his typical comefrom-behind fashion, as well as such other iconic moments as John Longden winning the 1966 San Juan Capistrano Handicap by a nose in his fnal ride, Zenyatta’s defeat of the boys in the 2009 Breeders’ Cup Classic (G1), and Seabiscuit winning the 1940 Santa Anita Handicap.




Source: Paulick Report



SQUARE EDDIE – BAS, FLOWER ALLEY
SQUARE EDDIE – BAS, by FLOWER ALLEY
Undefeated winner on dirt and turf by a dominating 21 lengths. Southern California Speed: 6 furlongs in a blazing 1:07.50!

Undefeated winner on dirt and turf a 21 Southern California 6 in a 1:07.50! LFSN
$3,500 LFSN






CLUBHOUSE RIDE – BRICKYARD HELEN, by SOUTHERN IMAGE
CLUBHOUSE RIDE – BRICKYARD SOUTHERN IMAGE LFSN stakes winner from the hot Ride sire line of Gun Runner, Vekoma, etc.
Speedy multiple graded stakes winner from the hot Candy Ride (Arg) sire line of Gun Runner, Twirling Candy, Vekoma, etc.
$4,000 LFSN



MO FORZA

WAR FRONT – PLAYA MAYA, by ARCH
WAR FRONT – PLAYA ARCH
Half-brother to sire Uncle Mo touts $94,000 average earnings/starter in U.S., two 2024 3 winners in South America LFSN
Half-brother to leading sire Uncle Mo touts $94,000 average earnings/starter in U.S., plus two 2024 Group 3 winners in South America
$3,500 LFSN



LEMON DROP KID – TOUGH BROAD, by BROAD BRUSH
Dual Pacifc Classic (G1) winner and 2024


UNCLE MO – INFLAMED, by UNUSUAL HEAT
UNCLE MO –UNUSUAL HEAT
Grade 1-winning millionaire reigns supreme as California’s most popular stallion in 2023 (102 mares) and 2024 (90 mares)
Grade millionaire reigns supreme as California’s most stallion in 2023 and 2024
LFSN
$7,500 LFSN

TAMAYUZ (GB) – MONA EM (IRE), by CATRAIL
TAMAYUZ – MONA EM CATRAIL
Maryland Thoroughbred Hall of Fame inductee ofers $57,000 average earnings/starter
LEMON DROP KID – TOUGH BRUSH LFSN
Dual Pacifc Classic winner and 2024 Maryland Thoroughbred Hall of Fame inductee ofers $57,000 average earnings/starter
$2,500 LFSN
Proven elite sire has worldwide progeny earnings of $20 million, with three 2024 stakes performers from his frst California crop
Proven elite sire has worldwide progeny earnings of $20 million, with three 2024 stakes earnings of $20 million, with three 2024 stakes from his frst California crop

$8,500 LFSN
LFSN


$4,000 LFSN



GIANT’S
Grade 3 winner from the immediate family of Grade 1 sires Ghostzapper and City Zip
Sire of 2024 stakes performer Talbot Bay.
$2,500 LFSN












To further assist the membership of the California Thoroughbred Breeders Association (CTBA) and subscribers of its official publication, California Thoroughbred, this monthly editorial page provides readers with updates about the association’s current policies, latest news, and upcoming events in the Golden State.

Tose CTBA members who wish to seek election to the group’s Board of Directors may do so through the petition process, which must be completed Dec. 1 of the year preceding the CTBA’s Annual Meeting and Dinner. As per the association’s bylaws, the application needs to include a minimum of 25 signatures from current CTBA members for the applicant to be included on the ballot for this year’s election, which relates to the three-year term as a director from 2025-27.
Now is the time to reserve your space in the 2025 Stallion Directory, published by the California Thoroughbred Breeders Association. This is the leading resource for California mare owners looking for stallions.





The Stallion Directory will be published in December. Each stallion is featured with a full page of statistical data that includes pedigree, race record, stud analysis, and full family notes. In addition, a full-color photo across from the statistical page will show your stallion to his best advantage.
For further information, contact Loretta Veiga at 626-445-7800, ext. 227 or loretta@ctba.com.
The annual California Thoroughbred Breeders Association Stallion Season Auction will be held online beginning Monday, Jan. 6, at 8 a.m. through Tuesday, Jan. 7, at 8 p.m. Proceeds will benefit the CTBA’s Political Action Committee fund, which works in support of legislation to favorably impact California breeders. Seasons will be sold with no guarantee. The preview will begin Friday, Jan. 3, and the auction will be held through SaleRing (www.salering.net).
For more information, please check the CTBA website (www.ctba.com) or contact Christy Chapman at Christy@ctba.com.

Te CTBA will again ofer special holiday subscription rates for California Toroughbred. Get an entire year of news and features about the California breeding and racing industry at only $40 for a one-year gift subscription or two years for $60.
Tese rates are only good until Dec. 24. Mail, call, or email your name, address, and phone; the name and address of the people you wish to give subscriptions to; and how you would like the gift card to read to:

California Toroughbred 201 Colorado Place Arcadia, CA 91007
626-445-7800 x 221
Email: vivian@ctba.com

Hector Castrellon Hacienda Heights, CA
Drew Foster Costa Mesa, CA
Mr. and Mrs. John Moroney Union, MO
Timothy F. O’Leary San Francisco, CA
Mr. and Mrs. Paul Rubke Menifee, CA
Rodney Smith Slidell, LA

CTBA EVENTS ■ SALES CAL-BRED/SIRED STAKES RACES
To further assist the membership of the California Thoroughbred Breeders Association (CTBA) and subscribers of its offcial publication, California Thoroughbred, this monthly editorial page provides readers with updates about the association’s current policies, latest news, and upcoming events in the Golden State.
SUNDAY MONDAY TUESDAY WEDNESDAY THURSDAY FRIDAY SATURDAY
Breeders’ Cup World Championships Del Mar
$175,000 Golden State Juvenile Stakes
$175,000 Golden State Juvenile Fillies Stakes Del Mar
Breeders’ Cup World Championships Del Mar 3 4 5 6 7 8
$100,000 Cary Grant Stakes Del Mar
$100,000 Betty Grable Stakes Del Mar
War Front - Starformer, by Dynaformer
Winning son of leading sire Warfront
Winner of over $850k and 2nd in the Grade 2 Seabiscuit Handicap Track record set at Kentucky Downs in the Tourist Mile Stakes





Black Type Winner at Saratoga, Kentucky Dows and Leopardstown (IRE) Out of Grade 2 Winner Starformer, by Dynaformer
Beyer Scores of 105 and 103 with 18 of 28 career starts with an Equibase fgure of 100+
“When at his best, I was confident to run Flavius in any of the best races in his division. I certainly was not surprised by his track record at a mile (1:32:1) in the $750,000 Tourist Mile Stakes.” – Four Time Eclipse Award Winning Trainer Chad Brown
Introductory 2025 FEE: $2,500 S&N


Contact Julia or Justin Oldfeld
joldfeld@daehlingfarms.com
WWW.DAEHLINGFARMS.COM









California-bred champion Sandy Blue proved a defnitive winner in the 1973 Del Mar Oaks
A $6,500 YEARLING BECAME AN EARLY CAL-BRED CHAMP
BY TRACY GANTZ
Amillionaire Japanese-bred graded winner named Kurino Premium would seem to have little to do with the California Toroughbred breeding industry. But a deep dive into that 7-yearold mare’s pedigree will yield Sandy Blue, her ffth dam and one of the frst Cal-bred champions.
Sandy Blue came along in the same season as Windy’s Daughter. It is a testament to Sandy Blue’s quality that she was named co-champion Cal-bred 3-year-old female in the California Toroughbred Breeders Association’s frst year-end poll, conducted in 1973. Windy’s Daughter was the frst Cal-bred Horse of the Year,



but voters couldn’t separate the two for the divisional title.
Mr. and Mrs. Dan Gershon bred Sandy Blue, a 1970 daughter of Windy Sands— Blue Nola, by Limelight. Abe Colton, a neighbor of trainer Tommy Doyle in Bradbury, Calif., attended the 1971 CTBA fall yearling sale and asked Doyle to look at a yearling colt. Doyle didn’t like the colt, but he had another idea.
“If you want to take home something with real quality, take home this flly,” Doyle told him, pointing out Sandy Blue.
Colton bought Sandy Blue, his frst
racehorse, for $6,500 and sold half of her to Robert Witt before she ever raced. It was a great investment for both men, though it didn’t look that way early because she bowed a tendon winning her second start as a 2-year-old.
“Anything you get after that, you are just plain lucky,” Doyle said years later. “Maybe one percent come back as good as they were before.”
Sandy Blue came back better. She won six stakes at four tracks as a 3-year-old in 1973: the Goose Girl Stakes, Railbird Stakes (G3), and Hollywood Oaks (G3)




at Hollywood Park; the Del Mar Oaks (G3) at Del Mar; the Palo Alto Stakes at Bay Meadows; and the Las Flores Handicap (G3) at Santa Anita.
Jockey Don Pierce rode Sandy Blue. In an article about Cal-breds and the Hollywood Oaks in this magazine in 1987, he recalled Sandy Blue as “a fast flly, but
she was sensible. And because of that, she could carry her speed farther than she was meant to.”
Pierce waited as long as he could with Sandy Blue in the 11⁄8-mile Hollywood Oaks. Te flly took the lead inside the quarter pole and won by a neck over fast-closing Cellist.

Te Del Mar Oaks was another story. Sandy Blue had to travel the same distance, but this time over the turf. At the start, she swerved right and bumped Card Table. Pierce straightened her out, and Sandy Blue quickly went to the lead. No one ever got close, as she had about four lengths on the feld in the stretch before winning by more than two lengths.
Sandy Blue ultimately won 10 of her 16 starts, with two seconds and one third, for earnings of $174,795. Del Mar honored her with a stakes in her name that ran from 1991-2002 and from 2008-16.
As a broodmare, Sandy Blue produced seven winners from 11 starters, including Window Seat, a two-time stakes winner at Hollywood Park bred and raced by Colton and Witt. But it was deeper into pedigrees that she had her greatest infuence.
Sandy Blue’s foals included Miss Ivor, the second dam of grade 1 winner Eddington, and Avasand, the second dam of grade 1 winners Coil and Chiropractor. Avasand is also the dam of Possibly Perfect, bred and raced by Witt and his wife, Geri, and the Eclipse Award champion grass mare of 1995.
Te Japanese connection stems from Possibly Perfect, whose foals included graded winner Promontory Gold and winner Perfect World for the Witts’ Blue Vista Inc. Japanese interests bought Perfect World for $650,000 in 2005. Perfect World in turn is the second dam of Kurino Premium, a mare who could extend Sandy Blue’s infuence even further.












BY JACK SHINAR
Tough Sunday has defed expectations all his life. On Nov. 1, the stallion checked of his latest milestone—siring his frst stakes winner—as SpeedyWilson captured the $176,000 Golden State Juvenile on the frst day of the Breeders’ Cup undercard at Del Mar.
Deprived of oxygen for fve minutes during a difcult birth caused by his size, Tough Sunday entered the world as a dummy foal—blind and deaf and incapable of nursing. Nick Alexander’s homebred son of Grazen was not expected to live, yet he survived all that
and more, eventually gaining his sight and hearing.
Tough Sunday “developed into a big, strong colt; he weighed about 1,200 pounds” during the height of his racing career, according to Alexander. A multiple graded stakes-placed performer and a state-bred stakes winner, Tough Sunday compiled a record of fve wins and 12 placings over 22 races and earned $362,228. Now 12, he stands at Eclipse Toroughbred Farm, and his frst fve runners—all homebreds for Alexander—have competed this year and four have won.
Because Alexander already has Grazen, California’s leading sire in 2023 by progeny earnings and stakes wins, the longtime Santa Ynez horseman says Tough Sunday hasn’t gotten the promotion he might have. Te big bay, out of the multiple winner Sunday Dress, will “get more chances” in 2025, Alexander says.
Speedy Wilson’s latest efort in the seven-furlong test of Golden State-eligible 2-year-olds shows why.
With Armando Ayuso in the irons, the Phil D’Amato-trained colt stalked a solid pace (:22.51, :45.65 for the opening half-mile) while three deep down the backstretch, engaging his stablemate Shea Brennan, also a son of Tough Sunday, leaving the quarter pole. Speedy Wilson grabbed the lead straightening for the stretch run, then dug in for the drive as 7-5 favorite R Heisman challenged.
Speedy Wilson, paying $10.80 to win as the third choice in the feld of eight, held sway by a half-length in a time of 1:23.47. Gary Barber’s R Heisman fnished well, but settled for second, with Shea Brennan 11 2 lengths farther back in third and Style Cat fourth.
Named for the much-decorated Korean War Marine veteran, Speedy Wilson began his career Aug. 10 with a thirdplace fnish behind Style Cat at Del Mar. Tree weeks later, he ran second to I’m a Bad Boy over the same track. His breakthrough came Sept. 29 at six furlongs, when he edged Got’m Cot’m by a neck in a game efort at Santa Anita. Speedy Wilson beat all three of those horses in the Golden State Juvenile while collecting a $99,750 payday. He has now earned $156,150.
“I knew we were in for a good stretch battle because (R Heisman) is a really nice horse,” D’Amato said. “It’s just good to see ‘Speedy’ develop, and he just looks like the longer the better for him. Once we get him around two turns, which we’ll do next year, who knows?”
Speedy Wilson is out of the multiple race-winning Ministers Wild Cat mare Queenofhercastle, who has produced three winners from as many runners. Tat includes the graded stakes-placed gelding Lovesick Blues, by Grazen, a seven-time winner of $432,000. Speedy Wilson’s second dam, Silk Queen, produced the Old Topper flly Queen Bee To You, winner of the La Canada (G3) and Bayakoa (G3) stakes.
“(Co-owner) Peter Jeong gave me the mare (Queenofthecastle),” said Alexander. “He wasn’t into breeding, so he gave her to me. She’s been good.”






BY JACK SHINAR
Returning to the dirt after four consecutive turf races, Tequilaandtherapy found the fnish line just in time to record her frst stakes victory in the $176,500 Golden State Juvenile Fillies, kicking of the Breeders’ Cup World Championships at Del Mar Nov. 1.
A homebred for Paul and Zilla Reddam, Tequilaandtherapy provided the frst stakes win for her sire, Mrazek, who died in 2021 as a result of a paddock accident at the Reddams’ Ocean Breeze Ranch in Bonsall, according to winning trainer Doug O’Neill. Tequilaandtherapy races for a partnership named Here We Go Brothers, managed by O’Neill’s nephew Shane O’Neill, through a lease agreement with the Reddams, Doug O’Neill said.
Ridden for the frst time by Edwin Maldonado, Tequilaandtherapy produced an 11-1 upset in the seven-furlong event for Golden State-eligible 2-year-old fllies. She barely nosed out the fast-closing maiden, Grateful My Love, for the $99,750 frst prize. Te fnal time was 1:24.91.
“Just a super efort,” said Doug O’Neill, one of six partners with Here We Go Brothers. “I thought she got bobbed at the wire. It was a tough beat for the other flly.”
Tequilaandtherapy was in contention after settling toward the inside behind a

solid pace set by Rizzleberry Rose (:22.56; :45.72 for the opening half-mile), with We the Free to her outside. Tequilaandtherapy advanced between those two leaving the turn and opened up a 11 2-length advantage nearing midstretch.
Closing quickly on her outside, however, were the slight race favorite, In the Air Tonight, and Grateful My Love, who was forced to await room after being bottled up in trafc. Fully extended a few yards from the wire, Tequilaandtherapy and Grateful My Love were on even terms, with Tequilaandtherapy earning the decision in a terrifc fnish. Grateful My Love, making just her second start, fnished three-quarters of a length ahead of In the Air Tonight.
“She’s not a big flly, but she covers a lot of ground,” O’Neill said.
Tequilaandtherapy began her career in June on the dirt at Churchill Downs, where the chestnut flly was no factor. Switched to the grass after that, she broke through with a maiden win against state-breds in her fourth start overall when stretching out to a mile on the Del Mar lawn Aug. 30. In her most recent race Oct. 6 at Santa Anita, she
fnished fourth in the one-mile Surfer Girl Stakes (G3T).
One of the busiest trainers in California, O’Neill has been hitting with better than 25% of his starters moving from turf to dirt over the past year. But the trainer said he wasn’t necessarily looking for a dirt race for Tequilaandtherapy. Instead, he was attracted by the Cal-bred stakes purse.
“I just thought it was a great opportunity for her,” he said. “Tis gives her a lot of options for the future.”
Te graded stakes-placed Mrazek, a dual stakes winner of $312,304 in his 13-race career for the Reddams and O’Neill, was only 8 years old at the time of his death. He had three crops as a stallion totaling 26 foals.
“It was a shame he died so young,” O’Neill said. “He had the makings of a solid stallion.”
Tequilaandtherapy’s dam, Chexcess—a Cal-bred daughter of In Excess—has produced two foals to race, both winners, and this is her frst stakes winner. Tequilaandtherapy has now banked $164,067 with her two victories from six starts.












BY TRACY GANTZ
The California Flag Handicap the past couple of years has showcased the collaboration between John Harris’ Harris Farms and the Johnston family’s Old English Rancho. Acclamation, bred by Old English, has stood at both farms, and he is the sire of the past two California Flag winners: On the Whim in 2024 and Kings River Knight in 2023.
Old English bred Kings River Knight, but On the Whim comes from the Harris operation. Acclamation now stands at Harris, and On the Whim resulted by breeding the Maria’s Mon mare Whimsy to the stallion. Harris Farms bought Whimsy in foal to Shackleford for $18,000 from Elm Tree Farm at the 2018 Keeneland November sale.
Te $101,500 California Flag, at about 61 2 furlongs down Santa Anita’s hillside turf course, attracted a feld that hailed from many major California breeding operations. Reddam Racing bred three of the eight entrants, with one each from Nick Alexander, Terry Lovingier, Daehling Ranch, and Kirk and Judy Robison, in addition to Harris.
Johnny Podres, the Alexander-bred claimed away last year, went of as the 3-2 favorite, with On the Whim the 3-1 third choice. Second-choice Fast Buck often goes to the front and sets quick fractions, something he tried to do again. He sped down the hill in :21.32 for the frst quarter-mile and a half-mile in :43.44.
Tiago Pereira has ridden On theWhim a few times, once down Santa Anita’s hill. He remembered that trip well when the gelding fnished sixth in allowance company.

“Last time I rode this horse down the hill, I got trapped,” Pereira said. “Today I looked at the race and knew we had a good space in between horses and I would have a good chance.”
Te jockey handicapped it exactly, and On the Whim was able to split the feld in fourth. Just before the leaders got to the dirt crossover, Pereira asked On the Whim to start moving forward. Tey passed horses on the outside, catching Fast Buck in the fnal sixteenth to win by

a half-length in 1:11.54.
Fast Buck held on gamely by a neck, as None Above the Law closed for third after running last early.
“At the straight I asked him to push hard, and he responded very well,” said Pereira. “It was a nice win.”
Trainer Dean Pederson missed seeing the race in person, causing him to quip later, “Maybe they run better when I’m not there.” Te conditioner added, “He’s really maturing and has come into himself nicely.”
On the Whim didn’t start until late in his 3-year-old season, winning one of two races last year. He now has three wins in seven 2024 starts, including in his only two stakes attempts. At Del Mar this summer he captured the California Dreamin’ Stakes at 11⁄16 miles on the turf.
For Acclamation, getting back-to-back California Flag winners is something of a coup. Te Unusual Heat stallion earned an Eclipse Award as champion older male primarily through distance races on dirt and turf. Acclamation’s biggest win came in the 2011 Pacifc Classic (G1) at 11⁄4 miles on dirt.



























BY TRACY GANTZ
Grand Slam Smile has won four Golden State Series stakes—so far—and not once has she repeated herself. Dirt sprint, check. Mile turf, check. Route dirt, check. Downhill turf sprint, check. What more could you ask for?
Te 3-year-old flly’s latest foray came in the $103,000 California Distaf Handicap Oct. 12 down Santa Anita’s hillside turf course in her frst attempt against older competition. Despite her versatility—or perhaps because of it—bettors practically ignored her, making her the 10-1 ffth choice in the 11-horse feld.
Stay and Scam, a 4-year-old and the odds-on favorite, had
donemoreturfracingandhadtwiceplaced in graded company on the grass. Plus Grand Slam Smile was coming of two dirt losses at Del Mar, when second in the Fleet Treat Stakes and third in her graded debut, the Aug. 31 Torrey Pines Stakes (G3).
Sassy Nature, the 4-1 second choice, tried to steal the race on the front end, bounding down the hill on top by about three lengths. Jockey Frank Alvarado put Grand Slam Smile in second position, a perfect spot to challenge
when the need arose.
Stay and Scam wasn’t going to let anyone steal anything, as she monitored the action from third. Grand Slam Smile and Stay and Scam tightened things up as the top three reached the dirt crossover.
Sassy Nature began to weaken in the stretch, and just about the time Stay and Scam was ready to take over, Grand Slam Smile swooped by from the outside. Grand Slam Smile scored by a length in 1:12.40, with Big Summer closing late to grab second by a length over Stay and Scam.
“It worked out perfect,” said Steve Specht, who trains Grand Slam Smile for owner/breeders Larry and Marianne Williams. “Te other flly blasted away from there, and he (Alvarado) was clear without anyone pushing on him. So he was able to get her to settle. She started running when it counted.”
Specht has done a terrifc job with Grand Slam Smile, especially considering her quirky nature. He has detailed that in the past, crediting Dan Kiser at the Williamses’ Idaho farm with settling her down through her early lessons. Specht has had to make allowances for some anxious paddock moments, but he always manages to get Grand Slam Smile ready for a good performance.
Regular rider Alvarado also has to watch out. Te flly unseated him in the paddock before the Jan. 13 Leigh Ann Howard California Cup Oaks and then proceeded to win the one-mile turf race by 21⁄4 lengths.
As a 2-year-old, Grand Slam Smile won the Fasig-Tipton Debutante Stakes and Golden State Juvenile Fillies Stakes around one turn on dirt after breaking her maiden on Golden Gate Fields’ synthetic main track. She added the 11⁄16mile Melair Stakes on dirt May 25 and now has total earnings of $511,400.

“Shehandlesanything,”Specht said. “She’s done it all—dirt, turf, synthetic, long and short. She’s pretty handy.”
Grand Slam Smile is by deceased Smiling Tiger. She is out of the Williamses’ homebred winning Grand Slam mare Royal Grand Slam, who also produced stakes winner Royal ’n Rando.











One Year Only from December 2024 to November 2025
These Special Rates are good only until December 31, 2024
The following are names and addresses of people to whom I would like to send Christmas Gift Subscriptions for CALIFORNIA THOROUGHBRED:
BY JACK SHINAR
You might think Missouri businessman John Moroney was “thinking outside the bun” 35 years ago, convincing a local bank owner that it would be a smart move to back his plan to develop a few Taco Bell fast food restaurants in the St. Louis area.
Tanks to his good timing and that early investment, Moroney proved to be right. Today he owns and operates 23 of the Mexican-style food franchises in Missouri, Illinois, and Kentucky. Surprisingly, Moroney adds, “None of it would have happened if not for horse racing.”
In the past few years, the jovial Moroney has become
known in California racing as part of leading breeder Terry Lovingier’s cadre of horse investment partners. He recently purchased the $250,000 sales topper, bred by Lovingier, at the Fasig-Tipton California fall yearling auction. Tat was far from where he started.
It was in the late 1980s. Moroney was a struggling owner of a franchise burger restaurant. But he saw an opportunity to “make a run for the border” with Taco Bell, which had become a quickly expanding spicy addition to the world of fast food. Moroney felt the public would bite. He just needed the banker’s help.
Tat banker was John Waller, who like Moroney,

loved racing. Moroney and Waller, who also was an avid horse breeder, became fast friends when attending the races at old Fairmount Park Race Track in Collinsville, Ill. Te 99-year-old facility is across the Mississippi River from St. Louis.
Moroney was no stranger at the bank. Brought together through their love of horses, he and Waller met often, though not necessarily for business.
“He was almost 70 at the time,” Moroney recalled. “I would come into the bank, and it was funny to see him clear everyone out of his offce so we could talk horses. I was kind of like a son to him in that way because his own children were not interested in racing.”
While their common bond didn’t seal the deal alone, it certainly helped. Tough Waller died in 2020 at the age of 100, he witnessed the success he helped create.
Moroney bought his frst horse from Waller, Missouri Ranger, for $750. Te Illinois-bred bay won six of 33 starts.
Sixty-six in December, Moroney now lives in Union, a town southwest of St. Louis, the region where he has lived his entire life. He and his wife, Jeannine (a former Taco Bell employee he had hired a few years prior to their marriage), raised three children, Patrick, Caitlin, and Natalie.
“I told my wife that I would never have met her were it not for horse racing,” Moroney said.
And yes, Moroney loves tacos. He eats there every day. Moroney has raced on a
small scale for many years, “playing at the bottom level, obviously,” he said. Teaming with trainer Steve Manley on the Midwest circuit, they compete at tracks such as Fairmount (currently known as FanDuel Sportsbook and Horse Racing), now defunct Arlington Park, Hawthorne, Prairie Meadows, Oaklawn Park, and Horseshoe Indianapolis.
Moroney is looking forward to the recently sold FanDuel property’s full development as a racino by 2026 with its anticipated bump in prize money.
Escaping the sweltering St. Louis summer on a West Coast business trip, Moroney discovered Del Mar in 1992, he estimates. He began making an annual “pilgrimage” to the seaside oval every summer after that. Moroney later expanded his stays, frst buying a condo in Vista, then purchasing a home in Carlsbad seven years ago. He now spends most of the Del Mar meet there.
“My son (Patrick) is handling most of the business now, which is great for me at this point in my life,” he said.


Moroney’s activity in the game jumped several notches since joining Lovingier’s ownership band. He owns a quarter interest in several horses bred at Lovacres Ranch, the most successful of them being stakes-placed Tapatio Leo, named for his grandson.
“I fgured if I’m going to hang out there (at Del Mar), I might as well run some horses,” he said.
A 4-year-old California-bred son of fagship sire Stay Tirsty out of the Rio Verde mare Sweet Lips Pooh, the dark
bay gelding has won fve times from nine starts for $268,339 in earnings. Tapatio Leo has not raced since fnishing third in the Eclipse Stakes at Oaklawn Park in April. He had a setback in June but is slated to return to the work tab soon, according to Moroney.
Moroney is partners with Grifn Stables, Lovingier, Amanda Navarro, and Michael Ryan. Te latter purchased Tapatio Leo for $110,000 from the Lovacres consignment at the 2021
Fasig-Tipton fall yearling sale.
“I’ve never had a horse like that,” said Moroney.
“I’ve seen him run four times and he’s yet to win— all of his wins came when I wasn’t there to see him.
I told Terry I must be bad luck for him. Tey should keep me away whenever he runs.”
Moroney is also in a partnership with Tapatio’s unraced 2-year-old full sister, Tapatio Leah. He’s enthusiastic about 2-year-old flly Tirsty Mama, also by Stay Tirsty, second in the California Toroughbred Breeders’ Association Stakes at Del Mar Aug. 4. She has a win and three seconds in six tries this year. She cost $50,000 as a Fasig-Tipton fall yearling. Te sale-topping yearling colt Moroney bought Sept. 24, by Stay Tirsty out of the Ghostzapper mare My Fiona, is a full brother to Cal-bred champion Finneus—another Lovacres sire—and a half brother to stakes winning Fi Fi Pharaoh, a Cal-bred by American Pharaoh.
“I’m partnering with Terry on him,” explained Moroney, who said he expects to have a quarter interest once the partnership is fnalized. “We’re keeping the horse in the family, so to speak.”
Moroney said he met Lovingier about four years ago at Del Mar and told him he’d like an interest in some Cal-breds.
“He showed me around the ranch; we talked about what was available,” Moroney said. “I decided I’d like to get involved. I’m so glad to have gotten hooked up with Terry.”
SEPTEMBER 23, 2024 – OCTOBER 27, 2024
Acclamation—Whimsy: On the Whim (42-24), g, 4 yo, Santa Anita Park, STK, California Flag H., 10/13, about 6 1/2f, 1:11.54, $60,000.
Boisterous—Silent Fusaichi: Loud Fusaichi (56-23), m, 5 yo, Lethbridge - Rmtc, ALW, 10/13, about 6f, 1:09.99, $3,869.
Bold Chieftain—Deputy Miss: Jasmine Chieftain (21-11), m, 6 yo, Lethbridge - Rmtc, STK, B Cup Fillies and Mares S., 9/29, 7f, 1:27.89, $5,300.
Bold Chieftain—Deputy Miss: Jasmine Chieftain (21-11), m, 6 yo, Lethbridge - Rmtc, STK, Farewell Fillies and Mares S., 10/14, 7f, 1:29.36, $5,724.
Cat Burglar—Lady Gamer: Cat Gamer (41-18), g, 5 yo, Arapahoe Park, ALW, 9/28, 7f, 1:24.49, $10,500.
Cat Burglar—Norma: Kristin Lee (41-18), f, 3 yo, Pleasanton, ALW, 10/20, 6f, 1:10.99, $21,840.
Conquest Farenheit—Salsita: Cali Conquest (22-10), g, 4 yo, Century Downs, STR, 9/29, 1 1/16mi, 1:46.61, $8,700.
Conquest Farenheit—Fast Breaking News: I'm Ripped (22-10), c, 3 yo, Santa Anita Park, AOC, 10/18, 6f, 1:09.74, $33,000.
Curlin to Mischief—Noe Valley: Berry Valley (49-26), m, 5 yo, Fresno, AOC, 10/5, 6f, 1:11.50, $21,060.
Dads Caps—Watusi: Pops Awesome (59-32), g, 5 yo, Arapahoe Park, SOC, 10/20, 5 1/2f, 1:04.92, $7,500.
Danzing Candy—Yolanda B. Too: Yo Yo Candy (81-41), c, 3 yo, Parx Racing, SOC, 10/16, 6f, 1:12.65, $15,600.
Gallant Son—Candy Kisses: Galland de Besos (14-7), g, 5 yo, Fresno, ALW, 10/6, 5 1/2f, 1:03.91, $20,280.
Gervinho—Elegant Trick: Spanish Channel (6-3), m, 8 yo, Grants Pass, STR, 10/7, 6 1/2f, 1:17.52, $4,400.
Gig Harbor—Exciting Dixie: Dinos Dixie (26-17), g, 4 yo, Hawthorne, ALW, 10/10, 5 1/2f (T), 1:02.80, $21,600.
Goldencents—Margie's Minute: Zzyzx (355-171), f, 4 yo, Grants Pass, ALW, 9/30, 1 1/8mi, 1:51.99, $3,960.
Grazen—Heat the Rocks: Father O'Flaherty (112-60), g, 6 yo, Lethbridge - Rmtc, STK, B Cup Three Year Old and Up Classic S., 9/29, 1 1/16mi, 1:48.52, $5,300.
Grazen—Copperopolis: Copper Bo Ten (112-60), m, 5 yo, Grants Pass, ALW, 9/30, 5 1/2f, 1:04.10, $4,400.
Grazen—Lady Rosberg: Nothing Is Forever (112-60), f, 3 yo, Fresno, AOC, 10/5, 1mi, 1:40.13, $20,280.
Grazen—Fragrant Harbor: Duly Noted (112-60), f, 3 yo, Fresno, ALW, 10/6, 5 1/2f, 1:03.73, $20,280.
Grazen—Malibu Holiday: Tecumseh Caroline (112-60), m, 5 yo, Santa Anita Park, AOC, 10/20, 1mi, 1:39.62, $33,000.
Grazen—Hadarra: Safa (112-60), f, 3 yo, Santa Anita Park, AOC, 10/25, 6f, 1:10.23, $33,000.
Grazen—Devilish Pro: Devil Be Me (112-60), g, 6 yo, Santa Anita Park, SOC, 10/26, 6 1/2f, 1:15.97, $25,920.
Hoorayforhollywood—Ultimatum: Hollywood Rumor (3-2), f, 4 yo, Fresno, STR, 10/6, 5 1/2f, 1:04.36, $8,100.
Jersey Town—Look to the Sky: Regal Patriot (32-17), g, 4 yo, Pleasanton, ALW, 10/19, 6f, 1:09.39, $21,840.
The accompanying list includes runners that are both California-foaled and California-sired winners in 2023 of all recent North American races, except straight claiming races. Abbreviations used for the class of race are similar to those used by Equibase: Alw–allowance; Hcp–overnight handicap; names of stakes race are spelled out, with the grade of the race, when applicable, in parentheses.
Kantharos—Imperial Pippin: Pushiness (263-135), f, 3 yo, Santa Anita Park, AOC, 10/13, 6f, 1:11.12, $42,900.
Lord Nelson—Tripping: Lord Tripping (129-71), g, 4 yo, Santa Anita Park, ALW, 10/27, about 6 1/2f, 1:12.78, $33,000.
Ministers Wild Cat—It's Your Life: New Every Morning (33-18), g, 6 yo, Grants Pass, STR, 9/29, 5f, 57.81, $4,400.
Ministers Wild Cat—It's Your Life: New Every Morning (33-18), g, 6 yo, Grants Pass, STR, 10/6, 6 1/2f, 1:15.50, $4,400.
Ministers Wild Cat—It's Your Life: New Every Morning (33-18), g, 6 yo, Grants Pass, ALW, 10/14, 5f, 56.61, $4,950.
Ministers Wild Cat—Feel the Charge: Victoria's Charge (33-18), f, 3 yo, Pleasanton, STR, 10/25, 6f, 1:10.93, $14,400.
Musketier (GER)—Kissamee Glitter: Christine's Jack (11-6), g, 8 yo, Lethbridge - Rmtc, ALW, 10/12, about 6f, 1:10.14, $3,869.
Nyquist—Hacktivism: Hacking It Up (221-100), g, 4 yo, Santa Anita Park, AOC, 9/29, 6f (T), 1:08.25, $33,000.
OscarPerformance—LimeBeach:Sneaker(114-59), f, 3 yo, Santa Anita Park, AOC, 9/29, 1mi (T), 1:33.97, $42,900.
Shaman Ghost—Wee Highland Lass: Highland Ghost (81-51), g, 5 yo, Delaware Park, STR, 9/26, 6f, 1:11.67, $17,100.
Silver Max—She's Stella Marie: Blue Max (10-5), g, 6 yo, Fort Erie, SOC, 10/8, 5 1/2f, 1:05.36, $9,480.
Sir Prancealot (IRE)—Pure: Pure Madness (76-32), c, 3 yo, Santa Anita Park, AOC, 9/27, 1mi, 1:36.99, $33,000.
Sir Prancealot (IRE)—Sheeza Sassy Girl: We Can (76-32), g, 3 yo, Santa Anita Park, AOC, 10/14, 1mi (T), 1:34.46, $33,000.
Sky Mesa—Shortbread Scotty: Rollin Dice (118-62), g, 3 yo, Pleasanton, STR, 10/19, 6f, 1:10.98, $13,200.
Smiling Tiger—Royal Grand Slam: Grand Slam Smile (143-78), f, 3 yo, Santa Anita Park, STK, California Distaff H., 10/12, about 6 1/2f, 1:12.40, $60,000.
Smiling Tiger—Brooke's Halo: Shining Tiger (143-78), g, 3 yo, Lethbridge - Rmtc, STK, Amtote Open Derby, 10/13, 1 1/16mi, 1:48.97, $6,996.
Smiling Tiger—Red Hot Rocket: Rocktillyoudrop (143-78), g, 6 yo, Century Downs, STR, 10/13, 1 1/8mi, 1:54.39, $8,700.
Smiling Tiger—Kadley: Buzzed by a Tiger (143-78), g, 3 yo, Grants Pass, ALW, 10/14, 6f, 1:10.52, $3,960.
Smiling Tiger—Codacious: Cardiff Crack (143-78), g, 5 yo, Fresno, AOC, 10/14, 1mi, 1:38.11, $20,280.
Smiling Tiger—Red Hot Rocket: Rocktillyoudrop (143-78), g, 6 yo, Century Downs, AOC, 10/27, 1 1/16mi, 1:49.58, $12,300.
Square Eddie—Loan Savant: Eddie's Last (39-24), g, 4 yo, Santa Anita Park, AOC, 9/29, 6f (T), 1:07.93, $33,000.
Stanford—Joyce and Me: Nene Diamond (93-52), f, 4 yo, Santa Anita Park, AOC, 10/11, 6f (T), 1:09.70, $33,000.
Stay Thirsty—Wedding Dress: Westerberg (187-92), g, 4 yo, Lethbridge - Rmtc, STR, 9/28, 1 1/8mi, 1:56.19, $000.
Stay Thirsty—Miss Athena: Mr. Chivas (187-92), g, 3 yo, Fanduel Sportsbook And Horse Racing, AOC, 10/17, 6f, 1:12.97, $8,100.
Street Boss—Intoitagain: Runamileinmyshoes (158-81), f, 3 yo, Santa Anita Park, AOC, 10/6, 1mi (T), 1:35.50, $33,000.
Street Sense—Exotic Behavior: Street Behavior (228-115), g, 7 yo, Arapahoe Park, SOC, 10/11, 7f, 1:27.24, $6,960.
Texas Ryano—Danish Dawn: Movinglikeawinner (12-7), m, 5 yo, Albuquerque, ALW, 9/28, 6 1/2f, 1:16.43, $15,780.
U S Ranger—Squeeze Me Tight: KonaSkye (10-3), g, 7 yo, Sweetwater Downs, STK, Hasta La Vista S., 9/29, 1 1/16mi, 1:49.40, $13,300.
Vronsky—The Toast of Troy: D D S Express (55-25), g, 6 yo, Albuquerque, ALW, 9/25, 6f, 1:10.31, $14,927.
Vronsky—Perfect Annie: Super Annie (55-25), m, 5 yo, Sweetwater Downs, SOC, 9/29, 5 1/2f, 1:08.38, $3,750.
Vronsky—La Darling: Clovisconnection (55-25), g, 4 yo, Fresno, STK, Harris Farms S., 9/29, 6f, 1:08.90, $42,750.
Bodexpress—Trust Fund Kitty: Just Trust Me (17-6), c, 2 yo, Pleasanton, AOC, 10/27, 6f, 1:11.88, $21,840.
Dads Caps—Deyonce: Far Western (59-32), g, 2 yo, Santa Anita Park, SOC, 10/18, 6f, 1:12.32, $22,320.
I'll Have Another—What a Family: Legal Fiction (30-18), f, 2 yo, Pleasanton, AOC, 10/26, 6f, 1:11.70, $21,840.
Phantom Boss—Pebble Beach Baby: Lil' Bit Bossy (3-2), f, 2 yo, Santa Anita Park, AOC, 10/4, 6 1/2f, 1:18.97, $33,000.
Stay Thirsty—Donita's Ruler: I'm a Bad Boy (187-92), g, 2 yo, Santa Anita Park, AOC, 10/6, 6 1/2f, 1:17.96, $33,000.
Uptown Rythem—Logical Single: Musical Number (7-5), f, 2 yo, Santa Anita Park, SOC, 10/19, 6f, 1:12.81, $22,320.
Big Bad Leroybrown—Ready for Crowds: Big Crowd (13-4), g, 2 yo, Pleasanton, MCL, 10/26, 1mi 70yd, 1:46.03, $7,500.
Boat Trip—Knacque: Power Trip (15-6), c, 4 yo, Los Alamitos, MCL, 10/26, 4 1/2f, 53.20, $4,095.
Circumference (IRE)—Fever's Bet: Betting Fever (16-4), f, 3 yo, Los Alamitos, MCL, 10/19, 4 1/2f, 54.04, $4,095.
Classic Empire—Wicked Wahine: Annie Fox (149-71), f, 3 yo, Fresno, MSW, 10/4, 5f, 58.49, $19,500.
Classic Empire—Blame Henny: Blame the Classic (149-71), g, 3 yo, Santa Anita Park, MSW, 10/27, 1 1/8mi (T), 1:51.43, $32,400.
Clubhouse Ride—Our Curious Kitten: A Kitten for Sue (98-48), f, 2 yo, Fresno, MSW, 10/5, 6f, 1:13.21, $19,500.
Clubhouse Ride—R Sunday Surprise: Unpretentious (98-48), c, 2 yo, Pleasanton, MSW, 10/27, 6f, 1:12.05, $21,060.
Dads Caps—Quick Wampum: Bobby Anton (59-32), g, 3 yo, Pleasanton, MCL, 10/19, 6f, 1:12.26, $7,200.
The Factor—Brandyafterdinner: The Shillelagh (198-96), g, 2 yo, Santa Anita Park, MSW, 10/25, 6f (T), 1:10.38, $32,400.



SEPTEMBER 23, 2024 – OCTOBER 27, 2023
Frosted—Jellicle (IRE): Girlcanthelpit (209-98), f, 3 yo, Santa Anita Park, MCL, 10/11, 1mi, 1:40.85, $11,400.
Frosted—Estelle: Chilly Philly (209-98), f, 2 yo, Santa Anita Park, MSW, 10/19, 1mi (T), 1:36.40, $32,400.
Gato Del Oro—Heart of the Nile: Devil D' Oro (12-8), f, 3 yo, Arapahoe Park, MSW, 10/4, 5 1/2f, 1:06.09, $10,200.
G. G. Ryder—Tryphena: Parthena (5-3), f, 3 yo, Pleasanton, MCL, 10/20, 6f, 1:12.44, $7,200. Goldencents—Unbridled's Bella: Black Beards Ghost (355-171), g, 3 yo, Santa Anita Park, MSW, 10/26, 6 1/2f, 1:17.06, $32,400.
Govenor Charlie—Miss Rizz: Rizzleberry Rose (9-5), f, 2 yo, Santa Anita Park, MSW, 9/28, 6f, 1:12.32, $32,400.
Grazen—Shikhara: Wishes to Riches (112-60), f, 3 yo, Santa Anita Park, MCL, 10/13, 6f, 1:11.47, $18,000.
Heartwood—Lucy Wiggles: Silverado Storm (5-1), g, 2 yo, Santa Anita Park, MCL, 10/11, 5 1/2f, 1:06.08, $18,000.
I'llHaveAnother—DoctorCarina:I'llhaveanotherwon (30-18), g, 4 yo, Santa Anita Park, MSW, 9/27, 1mi (T), 1:35.27, $32,400.
I'll Have Another—Radish: Accidental Genius (30-18), g, 2 yo, Fresno, MSW, 9/29, 1mi, 1:39.32, $19,500.
I'll Have Another—Chalky (IRE): Bet the Chalk (30-18), f, 3 yo, Fresno, MCL, 10/5, 1mi, 1:40.24, $6,900.
Harris Farms (800) 311 6211 www.harrisfarms.com
Jeranimo—Heat Sensitive: Sea Breeze Boy (20-7), g, 4 yo, Arapahoe Park, MSW, 10/6, 5 1/2f, 1:05.47, $10,200.
Lord Nelson—Sweet Treat: Petite Treat (129-71), f, 2 yo, Santa Anita Park, MSW, 10/26, 6f (T), 1:10.55, $32,400.
Many Rivers—Sizzling Gold: Golden River (18-11), g, 3 yo, Fresno, MSW, 10/6, 5f, 58.10, $19,500.
Noble Mission (GB)—Vocal Arts: Gianola (109-52), g, 4 yo, Fresno, MCL, 10/12, 5 1/2f, 1:06.08, $6,600. Nyquist—Cash Offer: Gracie's Big Day (221-100), f, 2 yo, Santa Anita Park, MCL, 10/13, 5 1/2f, 1:06.81, $18,000.
OM
Harris Farms (800) 311 6211 www.harrisfarms.com
Om—Quickly Gone: Going Om (34-14), f, 3 yo, Fresno, MCL, 9/28, 5f, 57.15, $6,900.
Om—Doris Johnson: Doris Avenue (34-14), g, 2 yo, Fresno, MCL, 10/6, 5 1/2f, 1:06.63, $9,600.
Om—Quick Song: Quick Omen (34-14), f, 3 yo, Santa Anita Park, MSW, 10/12, 6f (T), 1:09.74, $32,400.
Om—Heatology: Escape Plan (34-14), g, 2 yo, Fresno, MCL, 10/14, 1mi, 1:42.94, $7,200.
Om—Tahitian Lagoon: Its a Cinch (34-14), c, 2 yo, Santa Anita Park, MSW, 10/25, 6f (T), 1:09.24, $32,400.
Practical Joke—Julie Napp: Afternoon Nap (279-128), g, 4 yo, Santa Anita Park, MSW, 10/4, 6f (T), 1:09.06, $32,400.
ROUSING SERMON
BG Thoroughbred Farm (951) 654 9100 www.bgthoroughbreds.com
Rousing Sermon—Moving Desert: Mineral Rights (16-7), f, 3 yo, Fresno, MCL, 10/13, 5 1/2f, 1:05.93, $6,900.
Saburo—Nothinglikegold: Glacier Rim (7-4), f, 4 yo, Santa Anita Park, MSW, 10/11, 1mi (T), 1:36.27, $32,400.
Sir Prancealot (IRE)—Royal Descendent: Harney Lane (76-32), f, 3 yo, Fresno, MCL, 9/28, 6f, 1:10.66, $7,800.
Sir Prancealot (IRE)—Campionessa Dolce: Prince Dolce (76-32), g, 2 yo, Santa Anita Park, MSW, 10/4, 6f (T), 1:09.57, $32,400.
Sir Prancealot (IRE)—Ruby Bradley: Call Me Sir (76-32), c, 2 yo, Santa Anita Park, MSW, 10/18, 1mi (T), 1:37.54, $32,400.
Sir Prancealot (IRE)—Del Mar Holiday: Prince of Del Mar (76-32), c, 2 yo, Pleasanton, MCL, 10/20, 6f, 1:12.23, $9,900.
Sir Prancealot (IRE)—Penchant: Pennypatter (76-32), f, 2 yo, Pleasanton, MCL, 10/20, 6f, 1:12.81, $9,900.
Sir Prancealot (IRE)—Lista Lucca: Sir Lucas (76-32), c, 3 yo, Pleasanton, MCL, 10/20, 6f, 1:11.98, $9,000.
Sir Prancealot (IRE)—Spun Cap: You Decide (76-32), f, 2 yo, Santa Anita Park, MSW, 10/26, 6f (T), 1:09.15, $32,400.
Smiling Tiger—For Sure for Sure: Guardiansof Autism (143-78), g, 6 yo, Mountaineer Casino Racetrack & Resort, MSW, 10/7, 5 1/2f, 1:05.93, $9,570.
Smiling Tiger—Classic West: Red On Sunday (143-78), g, 3 yo, Santa Anita Park, MCL, 10/20, 5 1/2f, 1:05.91, $18,000.
Stay Thirsty—Sally Simpson: Bart Sip Some (187-92), g, 3 yo, Albuquerque, MSW, 10/2, 7f, 1:23.34, $12,760.
StayThirsty—TrickedAgain:ThirstyTrickster(187-92), f, 2 yo, Fresno, MSW, 10/6, 5f, 58.38, $19,500.
Stay Thirsty—Black Bird Rock: Drink This Cup (187-92), f, 2 yo, Delaware Park, MSW, 10/16, 6f, 1:13.38, $24,000.
Stay Thirsty—My Love Magnet: High Flying Gracie (187-92), f, 3 yo, Mountaineer Casino Racetrack & Resort, MSW, 10/16, 6f, 1:13.51, $9,570.
Tough Sunday—Queenofhercastle: Speedy Wilson (5-4), c, 2 yo, Santa Anita Park, MSW, 9/29, 6f, 1:11.27, $32,400.
UPTOWN RYTHEM
Harris Farms (800) 311 6211 www.harrisfarms.com
Uptown Rythem—Sensible Girl: Rythem Girl (7-5), f, 2 yo, Fresno, MCL, 9/28, 5 1/2f, 1:05.91, $6,900. Vronsky—GrayDarling:LastCallVron(55-25),g,2yo, Pleasanton, MCL, 10/26, 5 1/2f, 1:06.04, $7,500.
Sat, Jan 13
Sat, Jan 13
Sat, Jan 13
Sat, Jan 13
Sat, Jan 13
Sun, Feb 18
Mon, Feb 19
Sun, Mar 17
Sun, Mar 24
Sat, Apr 6
Sat, Apr 6
Sun, May 25
Sun, May 25
Sun, May 25
Sun, May 25
Sun, May 25
Sat, Jun 15
Sat, Jun 22
Fri, Jul 26
Fri, Aug 2
Sat, Aug 3
Sun, Aug 4
Fri, Aug 9
Sun, Aug 18
Mon, Sep 2
Fri, Sep 6
Sun, Sep 29
Sat, Oct 12
Sun, Oct 13
Fri, Nov 1
Fri, Nov 1
Sat, Nov 9
Sun, Nov 10
Sun, Dec 8 Sun, Dec 15

Unusual Heat Turf Classic
Sunshine Millions F/M Turf Sprint
California Cup Derby
California Cup Oaks
California Cup Sprint
Spring Fever Stakes
Tiznow Stakes
Irish O’Brien Stakes
Sensational Star Stakes
Echo Eddie Stakes
Evening Jewel Stakes
Crystal Water Stakes
Snow Chief Stakes
Fran’s Valentine Stakes
Thor’s Echo Stakes
Melair Stakes
Mary Clare Schmitt Stakes
Bertrando Stakes
Fleet Treat Stakes
Real Good Deal Stakes
California Dreamin’ Stakes
CTBA Stakes
Graduation Stakes
Solana Beach Stakes
Generous Portion Stakes
I’m Smokin Stakes
Harris Farms Stakes
California Distaff Handicap
California Flag Handicap
Golden State Juvenile Fillies
Golden State Juvenile
Cary Grant Stakes
Betty Grable Stakes
Soviet Problem Stakes
King Glorious Stakes
Four-Year-Olds & Up
Four-Year-Olds & Up
Three-Year-Olds
Three-Year-Olds
Four-Year-Olds & Up
Four-Year-Olds & Up
Four-Year-Olds & Up
Four-Year-Olds & Up
Four-Year-Olds & Up
Three-Year-Olds
Three-Year-Olds
Three-Year-Olds & Up
Three-Year-Olds
Three-Year-Olds & Up
Three-Year-Olds & Up
Three-Year-Olds
Three-Year-Olds & Up
Three-Year-Olds & Up
Three-Year-Olds
Three-Year-Olds
Three-Year-Olds & Up
Two-Year-Olds
Two-Year-Olds
Three-Year-Olds & Up
Two-Year-Olds
Two-Year-Olds
Three-Year-Olds & Up
Three-Year-Olds & Up
Three-Year-Olds & Up
Two-Year-Olds
Two-Year-Olds
Three-Year-Olds & Up
Three-Year-Olds & Up
Two-Year-Olds
Two-Year-Olds
$200,000 $150,000 $200,000 $200,000 $150,000 $100,000 $100,000 $100,000 $100,000 $125,000 $125,000 $100,000 $125,000 $100,000 $100,000 $125,000 $75,000 $100,000 $150,000 $150,000 $150,000 $100,000 $100,000 $150,000 $100,000 $100,000 $75,000 $100,000 $100,000 $175,000 $175,000 $100,000 $100,000 $100,000


AGE IS ONLY ONE FACTOR IN THIS FRUSTRATING CHALLENGE
BY HEATHER SMITH THOMAS
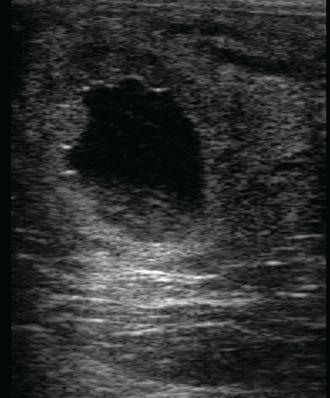
Early pregnancy loss in mares can occur for many reasons, and while research has shown some of those causes, some unanswered questions remain.
According to Dr. Ahmed Tibary, a professor of theriogenology at the Department of Veterinary Clinical Sciences at Washington State University, now an emeritus doing consulting, it’s always wise to check mares early for pregnancy after breeding and continue to monitor the pregnancy to make sure it is progressing normally.
“We always see some embryonic loss,” Tibary said. “Some losses are unexplained. Tere has been some research on chromosomal abnormalities or cytogenetic abnormality.”
Tese chromosomal aberrations occur when the structure or number of chromosomes is abnormal. Tis can involve one or more chromosomes and can afect either part or the entire chromosome.
“For example, aneuploidy or loss of acrosome has been detected in some mares that undergo early embryonic loss,” saidTibary.
It is common to see an 8-10% loss in pregnancies.
“Tis becomes even more pronounced in older mares,” Tibary said. “We know that they have higher losses due to aging of the
oocytes. Some of the literature references state up to 30% loss in mares that are greater than 18 years of age.
“We may not see that embryo at all, after insemination, and we don’t really know what happened. We don’t know if the mare’s oocyte was simply not fertilized or was fertilized but lost the embryo early. With ultrasound we can now see embryos as early as nine or 10 days, but we don’t know what happens before that. Regarding the mares that come up empty, were they not fertilized, or did the embryo not make it beyond the oviduct and into the uterus? Tis has been studied using embryo collection, but even then, we are only looking at embryos that have made it into the uterus, which occurs 6.5 days after fertilization.”
Te main risk factors in older mares are age-related changes to the uterus or even the quality of the oocyte.

“Just as in women, the eggs in an older mare may not be as viable as in a younger individual,” Tibary said. “Some studies have shown that even when you take young embryos from aged mares and place them in younger mares, those embryos undergo signifcantly more losses than similar-stage embryos from younger mares. Te embryo itself (from the older mare), rather than the uterine environment, can be a factor in early embryonic death.”
Te oocyte—the egg—from the older mare undergoes many changes that are not compatible with normal development.
“Studies have shown that those changes, and the quality of the oocyte, start showing up in some mares as early as 12 years of age,” Tibary said. “By 20 years, most mares will have some problems. In these mares we often see embryonic losses as high as 40 or 50%.”
Tere are also other reasons why embryos, even in younger mares, may not be as viable.
“In dairy cows, which are challenging compared to beef cows regarding fertility, studies have shown that in many of the dairy cows that come up open, the oocytes have actually been fertilized—the
fertilization rate is very high, up to 80%. But then when we collect embryos or do pregnancy diagnosis, the pregnancy rate drops to 40% or even less. We wonder if this happens in some mares.
“Some of the work that has been done now with ICSI (Intracytoplasmic Sperm
It’s been well established that mares bred before day 13 post-partum have an increased rate of pregnancy loss.”
—Dr. Ahmed Tibary
Injection) and IVF (in vitro fertilization), may enable us to shed some light on the very early embryonic loss, in terms of early embryo development errors. Te question remains in terms of which mares are predisposed to this early loss and how do we recognize it and what do we do about it?
“Sometimes the mare owner doesn’t understand that even though we can see a pregnancy when the mare is checked at 12 to 14 days, we still need to check the mare again a little later to know if
the pregnancy is still there.”
Most Toroughbred breeders understand this and check mares several times in early pregnancy—to determine whether there are twins (in order to terminate one early) or to know if the mare experienced early embryo loss and should be re-bred before the breeding season is over.
“We don’t apply embryo transfer techniques with Toroughbred mares, but we can learn a lot from (that process),” Tibary said. “It is because of those techniques, for example, that we have been able to understand why mares sometimes have problems and we may need to breed them several times before we actually get them pregnant during the breeding season.”
Foal-heat breeding is often used within the Toroughbred industry to try to get mares bred back as soon as possible.
“It’s been well established that mares bred before day 13 post-partum have an increased rate of pregnancy loss,” Tibary said. “It seems like the ability to conceive and establish a pregnancy is reduced in the frst three weeks post-partum, even when we only breed the mares that have passed their post-partum checkup. Tose losses usually occur between 15 and 35 days.
“Tere may be a delay in uterine involution in some mares,” Tibary said. “But also there may be an interaction between lactation, nutrition, and ability to maintain the pregnancy. Lactation may be a signifcant factor.”
Another factor that has been investigated in the Toroughbred industry is the efect of the stallion.
“Statistically, there are some groups of stallions that appear to have a lot more loss than others,” Tibary said. “Te reason for this is not clear. It could be changes in sperm, or increased cytogenetic abnormality, or it could be just an incompatibility sometimes.”
Te solution may be to try a diferent stallion for that mare.
“Another interesting thing, which I observed when I was working in the United Arab Emirates, is the problem of heat stress. Tis is a common cause of early



pregnancy loss in cattle—in hot, humid regions—and it occurs in mares as well.
“Te earliest observations of this in mares were actually done in studies with embryo donor mares. Te mares were exercised in an environment high in temperature and humidity. Te experimental studies showed that those mares would have poor embryo recovery, and even when the embryos were transferred into a recipient mare, there was a lot of embryo loss. In my work, in hot humid conditions, we noticed poorer-quality embryos, and more embryo loss as well.”
When mares are being bred early in the season, weather might not be quite as hot. But depending on location and climate, and how late in the season a mare is bred, heat stress could be a factor.
“Mares that don’t settle early in the season will end up being bred again later, but this reinforces the idea that starting early is a good idea, making sure the mares are in a good environment for breeding. If you are breeding maiden mares, you can breed them at any time. But if you are breeding mares that foaled, you have to wait until after they foal and are ready to breed again—and it might be a tight window.”
In Toroughbreds that produce good foals, most people try to keep breeding them later in life.
“We have the problem of early embryonic loss in older mares and have to deal with this,” Tibary said. “So we prepare the mare as best we can to minimize these problems. We have the tools to know whether the early embryo sticks or not, and can evaluate the mares early on to see if everything is going well before we start breeding them. Tey may need surgical
When we start adding progesterone, we must make sure that the embryo is not going to be lost despite the fact the mare is on progesterone, because it could be lost for other reasons.”
—Dr. Ahmed Tibary
repairs or various treatments, and always need to be maintained in good body condition.”
One question that can arise is whether or not to place a mare on progesterone.
“Tis is one of the frst things that’s easy to do, to try to minimize embryo loss, but this has to be done carefully,” Tibary said. “It’s hard to prove whether a mare needs
progesterone supplementation or not, since we usually get into this situation after the fact. Tere are some mares that just don’t keep the pregnancy unless they have progesterone supplementation.
“Historically, when we examine a mare and we see that she doesn’t quite have the uterine tone that she should, we start contemplating adding some progesterone. Te downside of that is when we start adding progesterone, we must make sure that the embryo is not going to be lost despite the fact the mare is on progesterone, because it could be lost for other reasons.
“We need to make sure everything is checked before breeding and eliminate some of the obvious things that might compromise fertilization and early embryonic development. Anything that may predispose the mare to problems early on, or even later on during the pregnancy, should be taken care of ahead of time, including vulva conformation, especially in Toroughbred mares.”
Proper nutrition is also important.
“Te problem with lactating mares is that often they don’t respond to additional supplementation because they simply produce more milk,” Tibary said. “It’s still a good thing to adjust the nutrition, however, to try to make sure they don’t lose weight.”
Toroughbred mares produce a lot of


milk. Tey are working nearly as hard as a dairy cow.
“Many people tend to underestimate how much milk a mare produces each day. Te foal nurses much more frequently than a calf. A mare can produce up to 3% of her body weight per day. For a 1,000-pound mare, that’s 30 pounds, or about 3.5 gallons of milk. Tis is a huge nutritional demand.”
“Tere is also another category of mares that tend to have a higher rate of embryo loss, including mares that have been treated for other problems like endometritis,” said Tibary.
Uterine cysts may lead to early embryo loss.
“We tend to see more cysts as the mare ages,” Tibary said. “Tere are studies that have shown that the number of cysts is a factor. Also, if the cysts get too large, they don’t allow the embryo to move around normally.”
Te embryo must be able to move around the uterus once it comes out of the fallopian tube, since this movement is what signals the mare that she is pregnant. Te uterus recognizes the embryo because the embryo travels.
“It moves around the uterus until day 16, when it attaches at the base of one horn,” said Tibary. “If that movement is compromised, the mare may not recognize the pregnancy and resumes her estrus
cycles. Another hypothesis is that after day 16 when the embryo fxes, if it attaches on or near a cyst, it won’t be a good attachment and will result in early loss.
“Where the embryo attaches can be another complication in itself. If there’s an embryo and a cyst, we may wonder if she has twins. In most Toroughbred practices, the mare’s uterus is mapped prior to breeding. Ten you know where every-
thing is and where any cysts are located. Cysts are also easy to detect because they don’t grow as fast as an embryo. If there is any question, we recheck the mare a few days later.”
A hobby breeder may not understand why a mare needs to be checked so often, but just because a mare starts out pregnant doesn’t mean she will still be pregnant later.
“Tere is no outward sign when a mare loses a pregnancy before day 40,” Tibary said.
It is important to have several ultrasound checks and measure the embryo.
“We want to determine whether the embryo is of proper size required for that stage of pregnancy,” said Tibary. “If we are beyond day 16, is the embryo already fxed or is it still moving? If it is still moving, that’s not a very good sign. If it is fxed, where is it located? Ideally we want to see them fxed at the base of one horn. Other locations may present problems, particularly in the body of the uterus.
“Also, we want to know how the uterus looks. Is there fuid or edema in the uterus, and how does it feel? Does it have really nice tone? Tese things are important. Just seeing that there is an embryonic vesicle in there is not enough to ensure a healthy pregnancy.”


1 Editorial, 2014, by War Front
2 Mrazek, 2013, by Square Eddie
3 Empire Way, 2009, by Empire Maker
4 Grazen, 2006, by Benchmark
5 Clubhouse Ride, 2008, by Candy Ride (ARG)
6 Square Eddie, 2006, by Smart Strike
7 Mr. Big, 2003-24, by Dynaformer
8 Acclamation, 2006, by Unusual Heat
9 Vronsky, 1999, by Danzig
10 Gallant Son, 2006, by Malabar Gold
11 Smiling Tiger, 2007-24, by Hold That Tiger
12 Pavel, 2014, by Creative Cause
13 Majestic Harbor, 2008, by Rockport Harbor
14
15
16 Jack Milton,
17
18
19
1 Grazen,
2
3 Sir Prancealot (IRE),
4
5 Acclamation, 2006, by Unusual Heat
6 I’ll Have Another, 2009, by Flower Alley
7 Smiling Tiger, 2007-24, by Hold That Tiger
8 Square Eddie, 2006, by Smart Strike
9 Midnight Storm, 2011, by Pioneerof the
10 Mr. Big, 2003-24, by Dynaformer
11 Stay Thirsty,
1 Editorial, 2014, by War Front
2 Mrazek, 2013, by Square Eddie 18
3 Gallant Son, 2006, by Malabar Gold
4 Majestic Harbor, 2008, by Rockport Harbor
5 Grazen, 2006, by Benchmark
6 Lakerville, 2008, by Unusual Heat 20 14 $337,152 $17,965
7 Gig Harbor, 2008, by City Zip 26 26 $433,406 $17,795
8 Far From Over, 2012-21, by Blame 23
9 Straight Fire, 2014, by Dominus
10 Mr. Big, 2003-24, by Dynaformer
11 Gato Del Oro, 2014, by Medaglia d’Oro 12 12 $231,573 $15,080
12 Clubhouse Ride, 2008, by Candy Ride (ARG)
13 Square Eddie, 2006, by Smart Strike 40
14 Pavel, 2014, by Creative Cause 21
15 Idiot Proof, 2004, by Benchmark
16 Bold Chieftain, 2003, by Chief Seattle
17 Desert Code, 2004, by E Dubai
18 Smiling Tiger, 2007-24, by Hold That Tiger
19 Curlin to Mischief, 2011, by Curlin
20
1
2
3 Vronsky, 1999, by Danzig
4 Empire Way, 2009, by Empire Maker
5 Om, 2012, by Munnings
6 Mr. Big, 2003-24, by Dynaformer
7 Smiling Tiger, 2007-24, by Hold That Tiger
8 Square Eddie, 2006, by Smart Strike
9 Sir Prancealot (IRE),
10
11
12
1
2
3
4
5
6
7
8
9
12
13
14
15
16
7
8 Govenor Charlie, 2010, by
9 Catholic Boy, 2015, by More
10 Midnight Storm,
Stallion (Foreign Foaled), Year, Sire
1 Grazen, 2006, by Benchmark
2 Clubhouse Ride, 2008, by Candy Ride (ARG)
3 Mr. Big, 2003, by Dynaformer
4 Vronsky, 1999, by Danzig
5 Bluegrass Cat, 2003, by Storm Cat
6
7 Sir Prancealot (IRE), 2010, by Tamayuz (GB)
8 Majestic Harbor, 2008, by Rockport Harbor
Street Hero, 2006, by Street Cry (IRE)
13 Acclamation, 2006, by Unusual
18 Midnight Storm, 2011, by Pioneerof the Nile
20 Graydar, 2009, by Unbridled’s Song
21 Misremembered, 2006,
39 Cat Burglar, 2010, by Unbridled’s Song
Dads Caps, 2010, by Discreet Cat
42 Empire Way, 2009,
44
48
These statistics are for active California-based sires with a minimum of 50 foals of racing age, ranked here by their lifetime Average Earnings Index (AEI.) The statistics shown here are compiled by The Jockey Club Information Systems (TJCIS). While every effort is made to prevent errors and omissions, California Thoroughbred cannot guarantee their complete and total accuracy. Sires that are dead, pensioned, or no longer standing in California remain on these lists until their last Cal-bred crop turns 3 years old. Statistics are from all available Northern Hemisphere racing with earnings adjusted for Hong Kong and Japan. Stakes winners and wins follow TJCIS stakes rules. Percentages are based upon number of named foals of racing age.
Pleasanton, Golden State Racing
Oct. 19-Dec. 15
Del Mar Thoroughbred Club, Del Mar Oct. 31-Dec. 1
Los Alamitos Race Course, Los Alamitos Dec. 4-17
Santa Anita Park, Arcadia Dec. 26, 2024-June 17, 2025
Pleasanton, Golden State Racing Jan. 1-June 8
Los Angeles County Fair at Los Alamitos, Los Alamitos June 18-July 8
Del Mar Thoroughbred Club, Del Mar July 16-Sept. 9
Sonoma County Fair, Santa Rosa July 30-Aug. 19
Los Alamitos Race Course, Los Alamitos Sept. 10-23
Santa Anita Park, Arcadia Sept. 24-Oct. 28
Del Mar Thoroughbred Club, Del Mar Oct. 29-Dec. 2
Los Alamitos Race Course, Los Alamitos Dec. 3-16
*Second half of Northern schedule for 2025 pending
JANUARY 21
CTBA WINTER MIXED SALE Pomona, Calif.
(ENTRIES CLOSE NOV. 12)
AUGUST 11
CTBA NORTHERN CALIFORNIA YEARLING & HORSES OF RACING AGE SALE Pleasanton, Calif.

DEL MAR
FRIDAY, NOV. 1
$175,000 Golden State Juvenile Fillies Stakes Two-Year-Old Fillies 7 furlongs
$175,000 Golden State Juvenile Stakes Two-Year-Olds 7 furlongs
SATURDAY, NOV. 9
$100,000 Cary Grant Stakes 3-Year-Olds & Up 7 furlongs
SUNDAY, NOV. 10
$100,000 Betty Grable Stakes 3-Year-Olds & Up, Fillies and Mares 7 furlongs
SUNDAY, DEC. 8
$100,000 Soviet Problem Stakes 2-Year-Old Fillies 1 mile
SUNDAY, DEC. 15
$100,000 King Glorious Stakes 2-Year-Olds 1 mile

31101 HWY 166, MARICOPA CA. 93252
RAMON GONZALEZ –(661) 699-5527
SPECIALIZING IN NORTHERN CALIFORNIA HORSE RANCHES
BIG OR SMALL PLEASE GIVE ME A CALL.
ROBIN HAS BEEN SELLING EQUESTRIAN PROPERTIES FOR OVER 25 YEARS.
PLEASE CALL ROBIN AT (925) 550-2383 OR EMAIL AT ROBIN FROST1@YAHOO.COM
WWW.ROBINSRANCHES.COM AGENT BRE #01039978
JUST LISTED
MARTINEZ –BEAUTIFUL 35 ACRE RANCH
PLEASANTON –10 ACRE HORSE RANCH, INDOOR/OUTDOOR ARENAS, CLOSE TO 50 STALLS





Janet Del Castillo
3708 Crystal Beach Road Winter Haven, FL 33880
YOU WANTED TO KNOW ABOUT TRAINING BUT DIDN’T KNOW HOW TO ASK! Read BACKYARD RACE HORSE, a comprehensive off-track program for owners and trainers Call or write for info on Book, Newsletter and Seminars! (863) 299-8448 backyardracehorse.com NEW! TRAINING DVD! janet.delcastillo@gmail.com

1. California Thoroughbred; 2. 10927328; 3. September 10, 2024; 4. Monthly; 5. 10; 6. $55.00; 7. 821 Corporate Drive, Lexington KY 405103; 8. 821 Corporate Drive, Lexington KY 40503; 9. Publisher: Blood-Horse LLC, 821 Corporate Drive, Lexington KY 40503; 10. Blood-Horse LLC, 821 Corporate Drive, Lexington KY 40503; 11. None; 12. Has not changed; 13. California Thoroughbred; 14. September 2024; 15a. 797, 845; 15b1. 567, 623; 15c. 567, 623; 15d1. 137, 142; 15d4. 93, 80; 15e. 230, 222; 15f. 797, 845; 15g. 0, 0; 15h. 797, 845; 15i. 71.14%, 73.73%. I certify that all information furnished on this form is true and complete. Lauren Glover, Circulation Accounting Manager.
His Book of Mares OVER TRIPLED from last year
Tied for the highest increase for a California stallion!
Source: Paulick Report, 10/3/24

“I have been fortunate to work with many stallions over the years, here in Kentucky and in regional programs. Management of a stallion’s book is directly related to his success and longevity. Tizamagician is poised, and a new viable option for breeders in California to take advantage of a lucrative state bred program, while being able to tap into a classic pedigree.”
- Carl McEntee

Stay Thirsty – My Fiona, by Ghostzapper
Winning the Golden State Juvenile Stakes, defeating multiple graded stakes winner SLOW DOWN ANDY
2025 Fee: $5,000 LFG

FIRST CROP WILL ARRIVE IN 2025 FOR MULTIPLE GRADED STAKES PLACED WINNER FINNEUS
Cal-bred champion 2-year-old male. Out of the multiple stakes winning Ghostzapper mare My Fiona, Finneus was especially partial to Del Mar during his racing career, winning the Golden State Juvenile Stakes in 2021 defeating multiple Graded Stakes winner SLOW DOWN ANDY prior to fnishing second in both the Best Pal (G2) and the Runhappy Del Mar Futurity G1.
Bernardini – Marozia, by Storm Bird

#1 Leading Sire in CA. Broodmare Sire of Leading Earner: FIERCENESS ($2,666,350).
2025 Fee: $10,000 LFG
Lovacres Ranch is a full-service facility including breeding, breaking and training of horses. Located at the mouth of Temecula Creek in a valley at the base of Palomar Mountain, it’s about 10 miles northwest of Warner Springs.
Union Rags – One Smokin’ Lady, by Smoke Glacken

A leading sire in 2023, California’s Leading First Crop Sire in 2022
2025 Fee: $5,000 LFSN